

Manual de diagnóstico de amelogénesis imperfecta


Sandra Janeth Gutiérrez Prieto
MANUAL DE DIAGNÓSTICO DE AMELOGÉNESIS
IMPERFECTA
MANUAL DE DIAGNÓSTICO DE AMELOGÉNESIS
IMPERFECTA
Sandra Janeth Gutiérrez Prieto
Reservados todos los derechos
© Pontificia Universidad Javeriana
© Sandra Janeth Gutiérrez Prieto
Primera edición: diciembre de 2025
Bogotá, D. C.
ISBN (impreso): 978-628-502-078-0
ISBN (digital): 978-628-502-079-7
Número de ejemplares: 300
Impreso y hecho en Colombia
Printed and made in Colombia
Editorial Pontificia Universidad Javeriana Carrera 7.ª n.º 37-25, oficina 1301
Edificio Lutaima
Teléfono: (601) 3208320 ext. 4752 www.javeriana.edu.co/editorial
Bogotá, D. C.
corrección de estilo: Samuel Currea
diseño de páginas interiores: Claudia Patricia Rodríguez Ávila diagramación: Nathalia Rodríguez González
diseño de cubierta: Nathalia Rodríguez González
impresión: DGP Editores S. A. S.
Pontificia Universidad Javeriana. Vigilada Mineducación. Reconocimiento como universidad: Decreto 1297 del 30 de mayo de 1964. Reconocimiento de personería jurídica: Resolución 73 del 12 de diciembre de 1933 del Ministerio de Gobierno.
Pontificia Universidad Javeriana. Biblioteca Alfonso Borrero Cabal, S. J. Catalogación en la publicación
Gutiérrez Prieto, Sandra Janeth, autora Manual de diagnóstico de amelogénesis imperfecta / Sandra Janeth Gutiérrez Prieto. -- Primera edición. -- Bogotá : Editorial Pontificia Universidad Javeriana, 2025.
92 páginas ; 12 x 18 cm
Incluye referencias bibliográficas.
ISBN: 978-628-502-078-0 (impreso)
ISBN: 978-628-502-079-7 (electrónico)
1. Amelogénesis imperfecta 2. Esmalte dental 3. Patología bucal 4. Genética 5. Fenotipos 6. Enfermedades dentales I. Pontificia Universidad Javeriana. Bogotá. Facultad de Odontología
CDD 617.63 edición 23
CO-BoPUJ 16/10/2025
Prohibida la reproducción total o parcial de este material, sin autorización por escrito de la Pontificia Universidad Javeriana.
Introducción
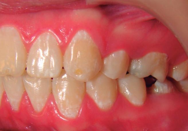
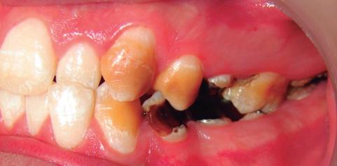
Este manual proporciona información completa y actualizada para profesionales de la odontología acerca de la amelogénesis imperfecta, una enfermedad huérfana que se caracteriza por desórdenes hereditarios que afectan la estructura del esmalte en su calidad y cantidad. Esta patología muchas veces se subdiagnostica en la práctica general, por lo que este manual suministrará una guía que permitirá un diagnóstico certero; además, brindará una clara y comprensible explicación a otros profesionales de la salud, como médicos y nutricionistas, que podrían interactuar con pacientes afectados por esta enfermedad, ya que esta entidad se ha asociado también a factores nutricionales y a enfermedades sistémicas.
A pesar de los recientes avances en la identificación de los defectos moleculares responsables de la aparición de la amelogénesis imperfecta, existe poca información sobre el fenotipo y el genotipo de este
grupo de desórdenes, lo que dificulta el diagnóstico de algunos subtipos clínicos y, por lo tanto, la determinación del programa terapéutico. Describir las características dentales y craneofaciales, así como otras enfermedades asociadas que pueden estar relacionadas con pacientes que padecen amelogénesis imperfecta, proporciona elementos para una adecuada planeación de su tratamiento. La intervención de varios profesionales para remediar los múltiples y severos problemas funcionales y estéticos presentes en esta enfermedad se hace necesaria, así como conocer su etiología genética, con el fin de brindar al paciente una atención integral.
En la población colombiana se han llevado a cabo algunos estudios de esta entidad tanto a nivel clínico como molecular, y la identificación de los defectos en los genes que causan la amelogénesis imperfecta contribuye a mejorar considerablemente el diagnóstico. Con este manual se pretende proporcionar información clara, concisa y básica de la amelogénesis imperfecta, una patología genética difícil de diagnosticar y de tratar.
Manual de diagnóstico de amelogénesis imperfecta se terminó de imprimir en los talleres de DGP Editores S. A. S en diciembre de 2025.
El presente manual le ofrece al profesional en odontología una herramienta integral para la comprensión, el diagnóstico y el manejo de la amelogénesis imperfecta, una condición clasificada entre las enfermedades huérfanas o raras. Esta alteración del desarrollo del esmalte dental conlleva múltiples complicaciones funcionales y estéticas que afectan de manera significativa la calidad de vida del paciente. Así, identificar y abordar esta patología representa un valor agregado para el odontólogo, al permitirle planificar tratamientos individualizados con un enfoque interdisciplinario, orientados a restaurar la función, la estética y, por consiguiente, el bienestar del paciente. Desde una perspectiva clínica y científica, esta obra busca fortalecer la formación y la actualización de los profesionales comprometidos con brindar una atención odontológica de excelencia, basada en la evidencia, la empatía y la comunicación efectiva, pilares que consolidan la relación de confianza entre el profesional y el paciente, indispensables para el éxito terapéutico.
