Ortopediskt Magasin nr 2 2023

Page 1

Stipendier att söka!

Nedanstående stipendier finns att söka för SOF:s medlemmar. Sista ansökningsdag är den 30 juni 2023.

Stipendierna fördelas av styrelsen för Svensk Ortopedisk Förening och tillkännages på föreningensårsmöte under Ortopediveckan i Göteborg.

LINK Swedens höftstipendium - 30.000kr

SOF:s resestipendium - 30.000 kr

SOF:s forskningsstipendium - 30.000 kr

EBOT examen - resestipendium - 10.000 kr

Ta del av mer information om respektive stipendium samt ansökningsförfarandet på hemsidan

slf.se/sof/stipendier/

Ortopediskt magasin

nummer 2/2023 grundad 1979

Medlemstidskrift för Svensk Ortopedisk Förening och Sveriges Ortopedingenjörers Förening.

Ortopediskt Magasin utkommer 4 ggr/år; vecka 12, 24, 41 och 52. Manus till redaktionen senast sex veckor innan respektive utgivningsvecka.

Ansvarig utgivare: Anne Garland

Ordförande Svensk Ortopedisk Förening

Tuna Industriväg 4, 153 30 Järna, tel. 08-550 390 50, fax 08-550 104 09, e-post: sofkansli@ortopedi.se

Redaktion:

Huvudredaktör: Överläkare Karin Bernhoff

Andreredaktör: Överläkare Christian Carrwik

Redaktionschef: Linda Linnskog Rudh, tel. 0707-467047

Samtliga nås på e-postadressen redaktionen@ortopedi.se

Manuskript skickas till samma e-postadress.

Redaktionsadress:

Ortopediskt Magasin, SOF:s kansli, Tuna Industriväg 4, 153 30 Järna, tel. 08-550 390 50 e-post: sofkansli@ortopedi.se

Hemsida: www.ortopedisktmagasin.se

Prenumeration:

4 nr 150:- per år för medlemmar. Övriga 250:- per år i Sverige. Övriga länder: 280:- per år.

Prenumeration SOF:s kansli, Tuna Industriväg 4, 153 30 Järna, tel. 08-550 390 50 e-post: sofkansli@ortopedi.se

Prenumeration SOIF, e-post: info@soif.se

Annonser: För prisuppgifter, övriga uppgifter eller annan information, samt bokning av annonser:

Erik Lind, i första hand e-post: annons@ortopedi.se.

Telefon: 08-550 390 50 vid brådskande ärenden.

Bokning senast fyra veckor innan respektive utgivning. Lämning av annonsmaterial senast tre veckor innan respektive utgivning.

Rabatt 10% vid bokning av fyra annonser samtidigt.

Upplaga: 2.100 ex.

Tryck:

Printall AS, Estland Nr 2, 2023. ISSN 0349-733X.

Omslagsbild: IStock

Ortopediskt Magasin 4/2017 7

Ur elden ...

Pandemin känns redan på många sätt avlägsen trots att det var så nyligen. Det var först den 4:e maj i år som FNs generaldirektör Tedros Adhanom Ghebreyesus med ”stor hoppfullhet” deklarerade slutet för COVID-19 som en nödsituation för folkhälsa. För SOF innebar pandemin beslut om att ställa in och digitalisera Ortopediveckan, ställa in olika kurser, och inställda möten ersattes med nya möten med en ”ny infektionssjukdom och dess ortopediska konsekvenser” som enda punkt på agendan. På ortopedkliniken i Visby slutade våra återkommande vikarier att komma till undsättning, vilket tvingade fram ett var tredje veckas isoleringsschema för att säkra att det skulle finnas akutoperatörer på ön.

Men pandemin blev också ett gott exempel på hur bra det kan bli om vi samarbetar med ett tydligt syfte. Syftet då var att kunna erbjuda covidvård till dem som behövde det. Medan övre ledningsskikt på många håll stod handfallna eller fastnade i långsamma processfrågor kom de verksamhetsnära skikten snabbt överens om konkreta lösningar på allt från ombyggnationer och inköp av skyddsutrustning till arbetsscheman i ständig förändring och omfördelning av arbetsuppgifter i en ny verklighet. En operationsglad professor i ortopedi gick på underläkarrad på nyöppnad infektionsavdelning med stolthet, en tystlåten kardiolog tänkte ut hur vi kunde tillverka visir med material från Rusta och gamla prioriteringsregler gällande vem som ska vårdas var lades åt sidan. Vem behöver vårdas på denna vårdplats mest just nu och hur kan vi tillsammans lösa det? Vi samarbetade.

… I STORMEN

I efterdyningarna av pandemin kan vi konstatera att patienter med ortopediska diagnoser har kommit i kläm. Om vi fokuserar vår uppmärksamhet endast på vårt eget ansvarsområde är det något som skaver betänkligt. Den patient som behöver en MR för sitt onda knä kan få det inom 48 h i huvudstaden men måste vänta månader om han/hon är bosatt i en mindre MRtät region. Om du behöver en primär höftprotes och går med lätt hälta kan du få den inom vårdgarantins 3 månader med råge men om du knappt kan gå utomhus längre men behöver en revision kan du få vänta åratal. Eller om du går med samma lätta hälta i väntan på den primära höftprotesen men dessutom är hjärtsjuk: – Var så god och dröj. Men: ”Målet med hälso- och sjukvården är en god hälsa och en vård på lika villkor för hela befolkningen. Vården ska ges med respekt för alla människors lika värde och för den enskilda människans värdighet. Den som har det största behovet av hälso- och sjukvård ska ges företräde till vården” (HSL 3 kap. 1 §).

I dagens ortopediska landskap har vi fler ortopediska vårdgivare vilket inte betyder att vi ortopeder klonats och blivit fler. Vi är desamma till antalet. Operationssköterskor och andra professioner likaså. Tillsammans behöver vi ta ansvar för helheten. Under ”Att leda sjukvård”- kursen i samarbete med Handelshögskolan hade vi en intressant diskussion om effektivitet. Jag fick där lära mig att ökad variation är det största hindret för att få till process- och flödeseffektivitet oavsett typ av verksamhet. Det här gäller för prylproduktion så väl som för skol- och vårdkoncerner. För mig blev resonemanget ögonöppnande, en förklaring på varför man i det privata ofta lyckas så bra med det man lyckas sämre med i det offentliga: Att få optimala effektiva patientflöden. Vi kommer aldrig kunna få till den typen av flöden i verksamheter med stor patientvariation.

För att kunna ge god vård även i framtiden krävs förutsättningar för att kunna bedriva forskning och utbildning av de medarbetare som framtiden kommer att behöva. De primära okomplicerade ingreppen utgör den optimala bulken att bedriva utbildning på. När allt fler av de primära okomplicerade ingreppen görs någon annanstans än där utbildningen bedrivs får vi nyfärdiga specialister med betydligt mindre kirurgi i händerna. Kommer vi ens att kunna få dem att uppnå kunskapsmålen i vår målbeskrivning? Våra framtida ortpedkirurger måste naturligtvis få verka där det för utbildning mest lämpade patienturvalet finns.

Det behövs också att vi bedriver forskning på bulken primära okomplicerade ingrepp, en förutsättning för utveckling av framtida behandlingsmetoder. Forskning behöver ske där patienterna finns och förutsättningar ges för att det ska kunna gå att genomföra.

Så vi behöver kavla upp ärmarna och finna formerna för ett konstruktivt samarbete, precis som under pandemin. En arbetsgrupp formeras inom SOF med representanter från akademin, offentliga och privata vårdgivare för att fortsätta arbetet som påbörjats inom ramen för NPO. Men samarbeten i mindre skala är även under utveckling på lokal nivå runt om i landet. Vår förhoppning är att detta nummer av OM ska ge er medlemmar inspiration i det fortsatta arbetet. För ett tydligt syfte har vi redan: ”En god hälsa och en vård på lika villkor för hela befolkningen …” där ”… den som har det största behovet av hälso- och sjukvård ska ges företräde till vården”.

4 Ortopediskt Magasin 2/2023
ANNE GARLAND
Ledare
Anne Garland ansvarig utgivare och ordförande Svensk Ortopedisk Förening

Innehåll nr.2

4 Ledare

6-25 Tema: Offentlig vs privat vård

Inledning till temat offentlig vs privat vård

Skapa robusta samarbeten

NPO förespråkar reglerad samverkan

En ständig balansgång mellan tillgänglighet, kvalitet och ekonomi

Jobba privat– bara guld och gröna skogar, eller?

Offentlig sektor – ett ideologiskt val Rädda ryggjouren!

Epiphysen: Arbeta offentligt eller privat – det är frågan

Starta eget företag

Bokrecension: Dagbok från akuten

26 AAOS Annual meeting

28 Ortopediveckan 2023

32 SOF-nytt

36 Frågorna i årets Ortopediexamen

42 Bokrecension: Doktorns råd om vård

43 Riksfot – fot- och fotledskirurgi

44 Pelles säkerhetshörna

45 Rapport från Knee Replacement Academy

58

46 SOIF-nytt
48 Ur Acta Orthopaedica
50 Årets avhandling
57 Pompes hörna
Vinspalten Ortopediskt Magasin 2/2023 5 Implantat
6 36 26 28

Tema Offentlig vs privat vård

Hur ska vårdens resurser räcka till? Den frågan verkar alltid ha varit aktuell och vi har alltid letat nya lösningar för att förbättra kvalitet och tillgänglighet. Prioriteringar och vårdprogram, evidensbaserad vård, kunskapsstyrning, lean, vårdgaranti, valfrihet, värdebaserad vård, privata sjukförsäkringar, riktade stadsbidrag, utfasning av ingrepp som gör ingen eller begränsad nytta. Effektiviseringarna och exemplen på förändrade arbetssätt är många. Och visst har vården ökat sin produktion! Jag skulle vilja påstå att vi generellt gör betydligt mer nytta nu för betydligt fler än för tjugo år sedan.

Trots alla dessa mer eller mindre lyckade satsningar så räcker inte den offentliga vården till. Behoven verkar vara oändliga.

Eftersom efterfrågan är större än utbudet och människor inte är tålmodiga i sitt lidande så finns nu en blomstrande privat marknad. Här kan man få vård i rimlig tid och ofta med bra kvalitet. Likriktade processer med industriell effektivitet, samma typ av ingrepp och friska patienter möjliggör en betydligt högre produktionstakt än i den offentliga vården. Billigare är det också. Regioner tecknar avtal och köper den våd som inte hinns med när akuta ingrepp och sjukare patienter måste prioriteras i den egna regin.

Lösningen med privata enheter som kan massproducera till lägre kostnad har tacksamt tagits emot av kö-tyngda regioner runt om i landet. Avtal kan tecknas med utförare i helt andra landsändar än där patienten bor och kan erbjudas som ett alternativ om man är frisk och pigg nog att resa. Skattemedel har delats av från den offentliga vården och det är här det etiska dilemmat uppstår. En frisk norrländsk man som vill sterilisera sig har ju all rätt att få det gjort genom regionens försorg och kanske gärna åker på en dagstur till Stockholm eller Skåne. Han kanske också har röst att klaga om väntan blir för lång. Men tas inte dessa medel från

de stackare som har prostatacancer, sitter i rullstol, har tre invärtesmedicinska tillstånd, schizofreni och ett litet missbruk på det? Denna patientkategori är så svår att passa in i de effektiva produktionsflödena i den upphandlade vården. Dessutom kanske inte patienten kan resa så långt. Denna patientens väntan blir ännu längre ... Eller blir den det? 300 vasectomier står ju inte före i kön längre. Eller stod dom före? Vasectomierna står nog bara kvar på väntelistan.

I detta nummer av OM stöter och blöter vi olika åsikter och infallsvinklar kring privat och offentlig vård. I många år har det varit rätt vattentäta skott mellan dessa två entiteter, men på senare tid har man börjat hitta nya arbetssätt genom samarbeten. Det finns ett stort intresse från både offentliga utövare och privata leverantörer att försöka få ihop resurser och kompetens på ett mer flexibelt sätt. Men även om man får de finaste samarbeten att fungera så finns många olösta problem kvar. Hälso- och sjukvårdslagens främsta princip – den som är sjukast ska ha vård först kan fortfarande vara svår om den förbättrade tillgängligheten bara kommer de friskaste till gagn. Om samarbetet frigör resurser för de sjukaste så är det av godo. Sen finns många ytterligare frågor kvar. Var ska all utbildning av ny vårdpersonal bedrivas? VFU-platser för sjuksköterskor? Grundutbildning för läkarstudenter?

ST-utbildning i opererande specialiteter?

Forskning på de vanligast förekommande kirurgiska ingreppen för våra största folksjukdomar? Kan man behålla ryggkirurgisk kompetens och jour-kompetens om alla diskbråck och elektiva ingrepp görs någon annanstans? Ja, kanske, om samma kirurg jobbar på bägge ställen. Men om pengarna följer med de friska patienterna med diskbråck så finns ingen kompetens eller jour-linje kvar att ta hand om de med BMI 50 med cauda equina. Och är det en bisyssla att jobba lite privat? Konkurrens om kunderna kan det ju knappast vara, patienter finns ju i övermått. Men konkurrerar vi om personalen, operationssalsbemanningen och vårdplatserna?

Det finns nog inget rätt och fel, bara nya försök att hitta lösningar på frågan hur vårdens resurser ska räcka till. Läs och begrunda. Glad sommar!

6 Ortopediskt Magasin 2/2023
Ortopediskt Magasin
2/2023 7
Ortopediskt Magasin

Skapa robusta samarbeten mellan privat & offentlig vård

Kan det vara lösningen på

kompetensbristen inom ortopedin?

Svårigheter med bemanning och kompetensbrist på en klinik kan ha många orsaker, såsom geografi, löner och arbetsförhållanden. Man kan ha olika uppfattningar om det ska finnas privat vård (med det menar vi offentligt finansierad) eller ej. Det finns föroch nackdelar, men den diskussionen lämnar vi utanför denna artikel.

Att det har uppstått kompetensbrist på några sjukhus, för att specialister har flyttat till privata elektiva enheter är uppenbart. Det är ett problem inte bara för sjukhusen, utan även för den privata vården. De offentliga klinikerna behöver kanske inte de privata, men de offentliga måste fungera för att de privata ska få existera. Om inte akutvården fungerar kommer helt enkelt inte politikerna tillåta privat vård i samma omfattning. Därför ligger det i de privatas intresse att hjälpa till med kompetensen på sjukhusen. Nu gäller det att göra bästa möjliga av situationen som den är i dag.

Det lättaste att lösa är ST-utbildningen. Idag är det ingen klinik i Stockholm som kan ge adekvat utbildning inom hela ortopedin fram till specialistexamen. Man behöver således regler för hur randning ska ske på andra kliniker, offentliga eller privata. Randningstiden är vanligen mellan 6 veckor och 3 månader. Under den tiden hinner man knappast bidra med någon större produktion åt den gästande kliniken. Det är rimligt att lönen helt ersätts med s.k. ryggsäckspengar från moderkliniken.

Det är uppenbart att ST-läkare tar tid från produktionen, både genom handledning och

längre operationstider, vilket måste regleras. Men det är också fördelar med att det är stimulerande för kliniken med nya medarbetare som tillför energi till kliniken och inte minst att det är ett utmärkt sätt att visa sin verksamhets förträfflighet inför framtida samarbete samt tillfälle att testa eventuella framtida kollegor.

Ett alternativ är ett större utbyte av läkare mellan offentliga och privata kliniker. De privata klinikerna utbildar ST-läkare på den offentliga kliniken och i utbyte kan de offentliga läkarna få mängdträning på de privata klinikerna. Det skulle kunna bli ett ”nollsumme”-spel utan extra ersättningar.

När det gäller att efter specialistexamen utbilda till önskad subspecialitet är det andra förhållanden som gäller. Enligt vår mening gäller det för alla kliniker att se till att man har rätt kompetens bland sina anställda. Ingen klinik kan kräva att bara ta emot personer som redan är helt självgående. Det är en kostnad som alla måste stå för. Vi ska ha så lika villkor som möjligt mellan privat och offentlig vård. Vi förstår den irritation som offentliga kliniker kan känna, när de utbildar sina läkare till subspecialister och sedan flyttar de till privata kliniker, som slipper den utbildningsbördan. Vår erfarenhet är att det är ont om bra specialister att rekrytera till privata enheter, har man rätt person är man, eller borde vara, som privat aktör mer än villig att stå för lämplig utbildning/träning. Det går ofta fort att få upp produktiviteten i en nischad verksamhet.

Det är väl just mängdträning som unga specialister eftersträvar, men som kan vara svårt att uppnå på sjukhus med stor bredd i repertoaren. Därför är det önskvärt med tid för unga specialister hos privat subspecialiserad elektiv vård.

8 Ortopediskt Magasin 2/2023
TEMA: OFFENTLIG VS PRIVAT VÅRD

med, men en otränad operatör tar längre tid på sig än en van och det medför färre operationer och lägre intäkter för kliniken. Det behöver man kompensera för på något sätt men det behöver absolut inte alltid göras med pengar, det finns andra sätt som kan ge motsvarande fördelar. Exempelvis att den privata kliniken kan få operera sina ASA 3-patienter på sjukhuset. Det ger en seriositet för kliniken, patienterna behöver inte byta läkare och man minskar dessutom kritiken att de privata bara tar lätta patienter. Det finns olika tekniska lösningar på detta. Vi har provat både att DRG-pengarna tillfaller sjukhuset eller privatkliniken och att man antingen ersätter operatören eller op/vårdavdelning från den ersättningen. Här tror vi det är bäst med lokala avtal som är anpassade efter rådande verklighet och som snabbt kan ändras om någon klinik drabbas mer än den andra.

Gemensamma forskningsprojekt är ett annat område, som kan ge fördelar för båda parter. Patienter med enhetliga diagnoser finns i stora antal på de privata klinikerna och sjukhusen kan bidra med forskningskompetens och ekonomiska medel.

I och med att det saknas större erfarenhet av vissa diagnoser/ingrepp på sjukhusen, finns det uppenbar risk för både felbedömningar och underbehandlingar på akutmottagningarna. Det kan förbättras genom utbildning men också att de privata har utrymme för att ta emot subakuta fall. Det är trots allt väldigt få som behöver akutmottagningens alla resurser, utan man vill bara ha en snabb professionell bedömning.

Det var länge sedan som vi opererade icke livshotande tillstånd på natten. Det finns flera exempel på hur privata klinker har ordnat så att patienter har möjlighet att komma på akuttider för bedömning och operation/behandling inom rimlig tid. Det går att få fram avtal, som stödjer detta arbetssätt, om offentlig och privat vård har en gemensam syn på behovet. Här måste de privata ställa upp, även om det är lite svårare att planera inslag av subakut vård än ren elektiv. Samtidigt måste de offentliga vara beredda att släppa lite på sina resurser för detta.

Det viktiga är att alla inser fördelarna med samarbete, vi är övertygade om att det går att få till det med lite vilja från båda parter. Det är alldeles för mycket missuppfattningar om de privata på den offentliga kliniken och vice versa. De privata skär inte guld med täljkniv och de offentliga har inte bara lågt tempo och är dåligt organiserade. Eller rättare sagt det räcker inte med god vilja från professionen, det måste också finnas vilja/önskemål från tjänstemän och politiker. För att få dem att förstå detta måste vi framföra gemensamma förslag.

Det enklaste sättet att få till en samsyn och undvika missuppfattningar om den andres verksamhet är att arbeta i båda verksamheterna. Det är alldeles för ovanligt idag. Många verkar anse det vara ett slags bedrägeri att arbeta med ”fienden”. Det är det inte, utan det är att få ut det bästa av två världar. De flesta, enligt vår erfarenhet, på privata enheter saknar både de lite svårare medicinska patienterna och de tekniskt svårare fallen. Det är ju utan tvekan så att som privat verksam missar man många medicinska

utmaningar, även om det finns andra. Det kan också bli rätt tungt att hela tiden ha ett högt produktionskrav vilande över sig, både på operation och mottagningen. Fördelarna är för många att slippa jourer och ha en bättre organiserad och planerad verksamhet, möjligen också lite högre lön.

De offentliga har på sin sida möjlighet till hela paletten, inklusive akuta fall och intensivvårdskrävande patienter. Dessutom kanske större möjligheter till forskning och andra aktiviteter än ren produktion. Det negativa är väl oftast en tung jourbelastning, trög sjukhusledning som man inte kan påverka och en uppfattning om lägre löner än de privata.

Många har svårt att välja sida och om, när man ska göra det. De flesta kanske vill välja endera verksamheten under olika skeden i livet. Men tillräckligt många skulle säkert vilja ha delad tjänstgöring om det gick. Som före detta klinikchefer har vi bara goda erfarenheter av kollegor som även arbetat på andra kliniker. Det kan vara i längre eller kortare perioder, men vi är övertygade om att det medför positiva impulser till båda klinikerna. Skäl mot delade tjänster är, förutom rent revirtänkande, ofta löneskillnader och lägre pensioner. Rimligen ska man ha samma lön som motsvarande kollegor på den klinik där man utför sitt arbete och pensionsfrågan går tämligen lätt att ordna med en pragmatisk ekonomiavdelning.

Det har historiskt tyvärr varit svårt med dialogen. Exempelvis har det tidigare klagats, från offentliga sjukhus, över att de privata inte deltog i jourarbetet inom ryggkirurgi men då undertecknad erbjöd att hans kirurger kunde delta i ryggjourlinjen tackade man nej. Sjukhuset var inte intresserade utan hänvisade, utan någon diskussion, till olika skäl varför det inte skulle gå att genomföra, som att det inte fanns några pengar för det och för besvärligt med organisationen. Känslan var att man inte ville beblanda sig med de privata, utan ha kvar det som ett argument mot privat vård. Man kan inte klaga på vissa förhållanden och sedan inte alls vilja vara med och ändra dessa till det bättre.

Ofta är det nog enklast att utveckla ett nära samarbete mellan bara ett sjukhus och en privat klinik. I storstäderna kan det finnas fler olika kombinationer, då det finns flera aktörer. Det är ett juridiskt problem med att ett offentligt sjukhus inte får gynna en enskild klinik. Det går att undvika genom att sjukhuset, inte regionen, genomför en upphandling av en lämplig elektiv enhet. Man ställer helt enkelt de krav som man anser rimliga, i dialog med de privata. Det har vi kontrollerat med region Stockholm att det är juridiskt riktigt. Med att samarbetsavtal kan man fördela patienterna, och doktorerna, som är bäst både för flödet och ekonomin. Det gäller även eventuella NHV-uppdrag.

En förutsättning för fortsatt utveckling är att även privata vårdgivare finns representerade i styrelsen för Svensk Ortopedisk förening, RPO, NPO, NHV, Socialstyrelsen och allt vad det heter. Grunden för den svenska demokratin är att valberedningen och tillsättande instanser strävar efter en jämn fördelning av representanter från olika verksamheter.

Tycho Tullberg Med dr, grundare och tidigare VD Stockholm Spine Center

Magnus Forssblad Docent, grundare och tidigare VD Capio Artro clinic

Båda är författare till boken ”Erfarenheter från privat vård under två decennier. Vilka lärdomarkan dras?”. Den utkom 2018 och är slut i bokhandeln, men enstaka exemplar kan beställas av författarna magnus@forssblad.se tullberg.tycho@gmail.com

Ortopediskt Magasin 2/2023 9

NPO förespråkar reglerad samverkan mellan offentlig och privat vård

Svensk hälso- och sjukvård står inför flera utmaningar som måste hanteras för att vi fortsatt ska kunna ge en god och jämlik vård inom rimlig tid. Den demografiska utvecklingen kommer ha stor påverkan på välfärdens möjligheter att klara kompetensförsörjningen framöver (”Välfärdens kompetensförsörjning”, SKR 2022). Det finns dessutom andra omvärldsfaktorer som påverkar möjligheten för välfärden att attrahera, behålla och utveckla personal. Det handlar bland annat om arbetsgivarnas nuvarande brist på personal, om konkurrensen på arbetskraft och de ekonomiska förutsättningarna.

All vård i Sverige påverkas av alla dessa utmaningar. Den ortopediska patienten är särskilt hårt drabbad. Kapacitetsbristen beror i huvudsak på sjukvårdens utmaningar i allmänhet och har medfört att regioner och sjukhus har tvingats prioritera vilken vård som erbjuds. Akuta patienter och maligna sjukdomar har prioriterats medan många övriga patientgrupper har köställts. Patienter i behov av ortopedisk kirurgi har därför redan innan pandemin blivit lågprioriterade. Under pandemin blev ortopedin ett av de områden som drabbades hårdast.

I Socialstyrelsens rapport ”Regeringsuppdrag att stödja regionernas hantering av uppdämda vårdbehov samt följa och analysera väntetider i hälso- och sjukvården” från 2022, framgår att ”Det största antalet patienter som väntade på operationer eller åtgärder i december 2021 syns inom ortopedi (27 675)”, ”Den största minskningen i antal genomförda operationer och kirurgiska åtgärder skedde inom området rörelseapparaten (-15 procent; -28 193)”. Denna minskade produktion har medfört att tillgängligheten för den ortopediska patienten i offentlig vård ur ett patientperspektiv har försämrats och att den skiljer sig mellan privat och offentlig vård. Ur SKR:s väntetidsdatabas kan man se att i mars 2023 utfördes 89% av de ortopediska operationerna i privat vård inom 90 dagar medan motsvarande siffra var 64% i den offentliga vården. Ortopedi är dessutom den specialitet som har flest patienter som väntat över 365 dagar på operation.

NPO anser att kapacitetsbristen utgör ett så stort hot mot den ortopediska patientens välbefinnande att denna fråga är vår högst prioriterade. För att klara omställningen till framtidens vård där färre tar hand om fler krävs det en helhetsansats och samarbete mellan olika aktörer. Hälso- och sjukvården behöver arbeta för att förbättra kvaliteten och tillgängligheten

på vård samtidigt som man ökar effektiviteten och minskar kostnaderna. Detta kan uppnås genom att investera i nya teknologier och digitalisering, stärka och samarbeta med primärvården, öka samverkan mellan olika vårdnivåer och öka kompetensen inom hälsooch sjukvården. Det är också viktigt att arbeta för att förbättra arbetsmiljön och göra yrket mer attraktivt för att rekrytera och behålla personal. Frågans komplexitet medför att den måste hanteras av många olika aktörer. Det pågår oerhört mycket arbete på nationell och regional nivå, av många olika aktörer, för att hantera dessa utmaningar.

NPO är en av dessa aktörer. En lösning som vi ser vore att se offentliga och privata verksamheter som kompletterande hellre än konkurrerande. Detta är bara en av många åtgärder som krävs. Att vi fokuserat på denna åtgärd att många regioner har upphandlat privat ortopedisk vård under de senaste åren. Detta har medfört att personal anställd i offentlig vård flyttat ut till privata aktörer. Denna utveckling har redan och kommer sannolikt i ännu större omfattning gynna tillgängligheten för de ”friskaste” patienterna samtidigt som resurserna för att ta hand om patienter med störst medicinska behov kommer fortsätta att minska.

Behovs- och solidaritetsprincipen föreskriver att vårdens resurser ska satsas på de patienter som har störst behov. Så sker inte idag inom svensk ortopedi och risken finns att de sjukaste patienternas möjlighet till vård ytterligare kommer att försämras i takt med att det sker en omfördelning av resurser och kompetenser mellan privat och offentligt driven verksamhet. Det är centralt att öka kapaciteten att ta hand om de svårast sjuka ortopediska patienterna. Trenden är dock den motsatta. När basal sjukvård minskar ytterligare inom den offentliga vården ökar risken för att; 1) kompetens- och kapacitetsförlusten medför att de svårast sjuka

10 Ortopediskt Magasin 2/2023 TEMA: OFFENTLIG VS PRIVAT VÅRD

patienternas möjlighet till behandling ytterligare försämras, 2) utbildningssjukhusen kommer inte att klara sitt utbildningsuppdrag, 3) rekryteringsbas för forskning och doktorander minskar och att 4) antalet som kan bidra till jourverksamhet och 24/7-verksamhet minskar.

När den privata vården växer nås en brytpunkt där den offentliga vårdens uppdrag inte längre klaras av. Vi är redan där i vissa regioner. 2021 utfördes till exempel 40% av alla primära ledplastiker i höft och knä och 60% av all spinal stenoskirurgi i Sverige av privata vårdgivare. Regionerna agerar på egen hand och kortsiktigt och man tar inte ansvar för helheten och de långsiktiga konsekvenserna. En ytterligare förflyttning av den basala ortopedin från den offentliga vården hotar dess uppdrag inom vård, undervisning, forskning och utveckling. NPO anser därför att det är av stor vikt att låta den offentligt drivna sjukvården behålla huvudansvaret för en tillräckligt stor andel patienter och anpassad volym verksamhet för att offentlig hälso- och sjukvård ska kunna klara sina uppdrag på både kort och lång sikt. Det behövs en nationell plan såväl som regionala planer för att; bättre utnyttja den samlade kapaciteten inom offentligt finansierad ortopedisk vård (regional och privat), långsiktigt säkra och förbättra utbildningen av nya ortopeder, specialistsjuksköterskor och andra kompetenser, korta vårdköer för de sjukaste patienterna inom ortopedi, långsiktigt säkra rekryteringsbas av patienter, handledare och doktorander för att upprätthålla den ortopediska forskningen i Sverige.

NPO lyfte frågan under Ortopediveckan 2021 och fick input på problemet och lösningsförslag. NPO, SOF och Reumatikerförbundet skrev en gemensam debattartikel som belyste ämnet och gav förslag på lösningar. NPO har involverat professionsföreningar, professorsnätverket och företrädare för kvalitetsregister i arbetet. Vi lyfte åter frågan under Ortopediveckan 2022 på professors- och verksamhetschefsmötet och fick då starkt stöd för presenterad handlingsplan. Vi har agerat gentemot Sveriges Kommuner och Regioner (SKR). SKR anordnade en workshop i december 2022 där NPO, SOF, akademin och företrädare för privata vårdgivare deltog.

Vi som deltog var alla eniga om att;

• vi har ett stort problem med kompetensförsörjningen inom svensk hälso- och sjukvård tillgängligheten blir allt sämre inom offentlig jämfört med privat vård ortopedisk vård rätt kompetens används inte på rätt sätt och i rätt tid då hög kompetens används till enklare operationer samtidigt som vi

saknar kompetens och kapacitet för de svårast sjuka

• konkurrensen har varit viktigt för att öka effektiviteten inom både offentlig och privat vård men när den privata vården växer nås en brytpunkt där den offentliga vårdens uppdrag inte längre klaras av och därmed riskeras nu den offentliga vården på en systemhotande nivå

• ovanstående kommer att förvärras med fortsatt flytt av personal ut från de offentligt drivna sjukhusen, om inget sker

Vi som deltog var också eniga om att vi som representerar olika delar av svensk ortopedi tillsammans vill ta ett gemensamt ansvar för att förbättra förutsättningarna att erbjuda en god och jämlik vård, med rätt vård i rätt tid och av rätt kompetens hos patienter inom området rörelseorganens sjukdomar. Våra gemensamma förslag för att uppnå detta var att;

vi måste öka effektiviteten för att kunna klara av mer vård med färre anställda vi måste hitta nya och smartare arbetssätt där vi utnyttjar ny teknik

• se offentliga och privata verksamheter som kompletterande hellre än konkurrerande

• säkerställa att kompetens tas tillvara genom samarbete kring 24/7-uppdrag, jour- och utbildningsuppdrag samt forskning mellan offentlig och privat verksamhet ersättningsmodeller tas fram för hur utbildning och jourer ska ersättas för privata aktörer

• alla regioner tillåter arbete inom både offentlig och privat regi

• anställningsformer och förmåner tas fram som stödjer detta arbetssätt pensionsfrågan för de med dubbel anställning löses det finns en lönestruktur som inte dränerar den offentliga vården

• det behövs en styrning för att få en balans mellan utförare av enkla och komplexa behandlingar

• behövs en nationell handlingsplan för hur vi ska gå vidare

SKR håller med om problembilden och i huvudsak om vilka åtgärder som krävs. SKR har och kommer att ge underlag till beslutsfattare.

SKR kommunicerar i de forum de kan (politiker på nationell och regional nivå, regiondirektörer, HR-direktörer och hälso- och sjukvårdsdirektörer). Det har redan kommit ett par exempel på att det sker saker i rätt riktning. SKR publicerade tidigare i år rapporten ”Insatser för att utöka VFU”. Rapporten beskriver de behov av insatser och förutsättningar som krävs för att regioner och kommuner ska kunna uppfylla målet i överenskommelsen och öka antalet

Ortopediskt Magasin 2/2023 11
NPO

VFU-platser med bibehållen kvalitet. Man konstaterar att tillgången till erfarna sjuksköterskor som kan undervisa och handleda utgör det största hindret för att kunna utbilda nya sjuksköterskestudenter. Ett av de förslag man lyfter fram är att tydliggöra utbildningsuppdraget för privata utförare av vård och omsorg i sina avtal för privata vårdgivare inom LOV och LOU. Ett annat steg i rätt riktning är ett förslag från styret i Region Stockholm angående att de privata aktörerna inom vårdval ryggkirurgi ska delta i akutsjukhusens jourer och bidra i utbildning av nya ryggkirurger (Privata ryggkirurger ska delta i jour och ge utbildning - Dagens Medicin).

Vi är i ett förändrat omvärldsläge och beredskapsfrågan har blivit än viktigare. Redan nu har Sverige skyldigheter att uppfylla Natos sju civila förmågor, så kallade NATO Baseline Requirements National Resilience, som är särskilt prioriterade områden för att stärka den civila motståndskraften (msb.se). Regeringen har gett Socialstyrelsen i uppdrag att ta fram en plan för hur svensk hälso- och sjukvård ska hantera ett plötsligt och oväntat högt inflöde av patienter. I rapporten ”Hälso- och sjukvårdens beredskap – struktur för ökad förmåga” framgår att ”beredskapsplaneringen för hälso- och sjukvården behöver omfatta alla delar av hälsooch sjukvården, inklusive smittskydd, primärvård och kommunal hälso- och sjukvård”. Vidare konstateras att ”Regionen ska vid planeringen beakta den hälso- och sjukvård som erbjuds av andra vårdgivare och ska även planera sin hälso- och sjukvård så att en katastrofmedicinsk

beredskap upprätthålls. För att hälso- och sjukvården ska kunna hantera sådana belastningar som kan uppkomma vid fredstida kriser och krig krävs att vårdens aktörer kan samordnas så att vård på lika villkor för hela befolkningen kan ges. Patienter eller vårdresurser kan då behöva omfördelas inom en region, mellan regioner, mellan kommuner eller mellan regioner och kommuner.” Detta arbete kan möjligen katalysera ett ökat samarbete mellan offentlig och privat vård. Med en allt större privat vård anser vi att det är regionernas uppdrag att ställa krav på att all vård ingår i helheten inklusive utbildning, jourer, 24/7-verksamhet och beredskap vid katastrofer, pandemier och krig. Om regionledningar inte tar detta helhetsansvar kan det leda till nya förslag om nationell styrning.

NPO är övertygade om att vi behöver samarbeta mer mellan offentlig och privat vård för patienternas och medarbetarnas bästa. Tillsammans med styrelsen för Svensk Ortopedisk Förening (SOF) har vi diskuterat hur vi bäst kan driva frågan framåt. Vi tror att det är viktigt att det är SOF som framgent ansvarar för att driva frågan gentemot berörda myndigheter och andra relevanta aktörer. Frågan drivs mer eller mindre i regionerna och SOF:s involvering har stor betydelse för att påverka beslutsfattare och bryta den negativa trenden. Vi i NPO kommer att fortsatt bidra med vad vi kan, och arbeta vidare tillsammans med SOF:s styrelse och andra medlemmar i föreningen. Vi tar tacksamt emot tankar från er alla kring hur vi tillsammans fortsatt ska agera i denna fråga.

Ortopedisömnad

Vi är en helhetsleverantör av maskiner och tillbehör för tillverkning och underhåll av ortopediska hjälpmedel.

Vi hjälper dig att hitta rätt maskin och tillbehör.

Välkommen till oss på Indukta!

Vi arbetar enbart med marknadsledande leverantörer med hög kvalitet, godkända inom EU. Helt enligt våra visioner.

Indukta AB

Viaredsvägen 22B, Borås • 033-23 70 50 www.indukta.se • info@indukta.se

Magnus Eneroth Ordförande NPO Rörelseorganens Sjukdomar
12 Ortopediskt Magasin 2/2023

Ortoped:

Offentlig – privat – eller båda?

De allra flesta i ortoped-Sverige är nog överens som att både privat och offentlig vård behövs. Vi som jobbar i regionerna ser hur de privata klinikerna kortar köerna och jag vet att många som jobbar privat är glada att vi har offentlig vård som kan ta hand om de svårast sjuka och de mest komplexa fallen. Det jag vill rikta in mig på här är hur den enskilde ortopeden ska kunna kombinera sin tjänstgöring.

Under mina många år på KS i Stockholm var det otillåtet att jobba i så kallad konkurrerande verksamhet. Ville man jobba privat var det bara att säga upp sig, och detta gäller fortfarande i stora delar av vårt land. Internationellt är detta ett ovanligt system. Jag har själv jobbat i USA och där var det självklart att man kombinerade sin tjänstgöring. I många europeiska länder är det givetvis samma sak. Jag uppfattade att kombinationen var bra och att båda verksamheterna gynnades av flexibiliteten.

Ett stort problem som jag ser med vårt system är kompetenstapp inom offentlig vård. Jag känner personligen ett par lite yngre kollegor med hög kompetens inom proteskirurgi, inklusive revisioner, som inte har tillåtits att jobba deltid på privat enhet och därför har sagt upp sig. Nu är de producenter (förvisso högproducerande) av primärplastiker men gör ingen revisionskirurgi. På sikt tror jag att detta kommer att bli ett allt större problem. Om du har familj och kan tjäna dubbelt upp på en privat enhet i samma stad, kanske också slipper jourer, kan det självklart vara lockande. De med högst kompetens är självklart mest attraktiva även för den privata vården. Varför ska det inte vara möjligt att kombinera?

Förvisso har det nu i flera regioner skett en uppluckring av systemet så att en mindre andel av kompetenta kollegor får möjlighet att kombinera. Detta ser vi nu i bland annat Skåne och Stockholm. De verksamhetschefer på den privata sidan som jag pratar med ser inga problem med kombinerade tjänster, tvärt om ser många fördelar ur både kompetens- och utbildnings- hänseende. I offentlig vård verkar cheferna var mer splittrade och här har jag stött på argument både för och emot. De verkar framför allt vara rädda för att förlora duktiga kirurger. Men det problemet finns ju redan!

Personligen anser jag att utvecklingen mot delade tjänster är ofrånkomlig. Jag skulle dock önska en gemensam nationell hållning i frågan. Att en duktig ortoped i vissa regioner får jobba kombinerat på enheter i samma stad, medan man i andra regioner tar jourkomp och åker i väg för att göra samma jobb, men åt ett annat landsting, är ologiskt. Jag tror att kombinerade tjänster skulle vara bra för både det offentliga och privata och dessutom främja samarbetet.

Direct Socket (DS) är resultatet av en klinisk utveckling som ger möjlighet att gjuta protesen direkt mot stumpen och sedan kunna provgå efter bara några timmar.

Tiden mellan amputation och tillverkad protes är en av de viktigaste faktorerna för att bli en bra protesgångare. Med en DS-tillverkad proteshylsa får du optimal passform och bra förutsättningar med din protes.

Idag kan alla benamputerade få en DS-tillverkad proteshylsa, det är idag den vanligaste metoden enligt SwedeAmp (svenska amputations- och protesregistret).

”100% bättre än något jag tidigare provat.”

Ortopediskt Magasin 2/2023 13
www.teamolmed.se
Direct Socket En revolution för alla benamputerade
TEMA: OFFENTLIG VS PRIVAT VÅRD

"Det är en ständig balansgång mellan tillgänglighet, kvalitet och ekonomi"

Undertecknad har haft ett ben i den privata och ett ben i den offentliga sektorn under i stort sett hela min yrkesaktiva karriär som ortoped.

Som ung ortoped startade jag och två kollegor en liten privat ortopedklinik med det imponerande namnet ”SKY Medical” eftersom kliniken etablerades i Västerås enda skykrapa. Detta var i början på 90-talet och vi riktade in oss på privatbetalande och försäkringspatienter. På den tiden var det inte tal om landstingsavtal men heller inget hinder att ha bisysslor. Den ekonomiska finanskris som följde i början på 90-talet gjorde att antalet privatbetalande kraftigt sjönk och vi var tvungna att sälja kliniken till en större aktör.

Ungefär samtidigt startade Elisabethsjukhuset (ES) i Uppsala där jag var verksam under åren 1991 och 1994 som höft- och knäproteskirurg. Orsaken till att jag arbetade där 1994 var för att kunna färdigställa min avhandling. Minns att dåvarande VD för ES var mycket stolt att man gjort det möjligt för mig att slutföra mitt avhandlingsarbete. Under denna tid levde sjukhuset på den s.k. Norgemiljarden och opererade mängder av norrmän framförallt inom ryggkirurgi. Kärvare tider väntade dock och sjukhuset gick igenom flera konkurser och ägarbyten innan en viss stadga infann sig i början på 2000-talet. Man fick landstingsavtal och kunde utveckla sjukhuset inom flera specialiteter. Vi fick rösta fram namnet på våra nya ägare efter att sjukhuset varit i norsk äga. Namnet blev Aleris i vars koncern ES fortfarande finns.

2003 lämnade jag Akademiska sjukhuset och började en heltidsanställning som chefläkare på ES. Målet var att utveckla axelkirurgin och göra ES till Sveriges bästa axelsjukhus. Allt fler kollegor anställdes och tillsammans bedrev

vi forskning och utbildning under många år. ”Shoulder Academy” i J&J regi drev vi tillsammans med universitetssjukhuset i Malmö.

Vi utbildade genom denna kursverksamhet många av de axelkirurger som är verksamma idag. Under denna period hade sjukhuset ett landstingsavtal som gjorde det möjligt.

Vi hade ett bra samarbete med Akademiska sjukhuset där vi vid behov hjälpte till som konsulter. Förutom axelkirurgi utfördes på ES avancerad handkirurgi, knäligamentkirurgi och höft-knäproteskirurgi. Måste säga att dessa år var de bästa under min yrkesverksamma tid, präglade av framtidstro, entusiasm och mycket kompetenta kollegor. Ersättningsnivåerna var rimliga inom de avtal vi hade vilket gjorde det möjligt att ligga i framkant. Vi fick ersättning för reoperationer och komplicerade ingrepp på ett sett som gjorde det ekonomisk försvarbart att bedriva den vård vi önskade.

De ekonomiska förutsättningarna att bedriva privat vård med regionavtal har de senaste åren kraftigt försämrats. Ersättningsnivåerna har sänkts med i vissa fall 30%, personalkostnaderna har kraftigt ökat i och med höjda löner och behov av hyrpersonal. Det senare har även drabbat offentlig vård där det inom vissa specialiteter är upp till 75% av personalen som är anställda som hyrpersonal. Kostnaden för nödvändigt material har kraftigt ökat liksom för alla slags implantat. Om man ska kunna utföra operationer med de senaste teknikerna kan ibland implantatkostnaderna nästan överstiga den totala ersättningen som man får för ett ingrepp. De flesta regioner har dessutom infört ett ekonomiskt ansvar hos utföraren för infektioner och andra komplikationer som kan inträffa efter kirurgi vilket kan gräva djupa hål i budgeten hos den privata aktören.

Som privat vårdgivare gäller det att ha flera ben att stå på om man ska kunna få ekonomi

14 Ortopediskt Magasin 2/2023
TEMA: OFFENTLIG VS PRIVAT VÅRD

i verksamheten. Ena månaden saknas resurser inom ett visst område vid ett sjukhus, nästa månad är det någon annan som har problem med att klara vårdgarantin. För oss gäller då att vara flexibla och kunna hjälpa till att lösa de akuta situationerna. Samtidigt gäller det att ha spetskompetens som drar till sig patienter från olika håll. Det är en ständig balansgång mellan tillgänglighet, kvalitet och ekonomi.

Under många år, och fortfarande, har det varit svårt att få arbeta både inom offentlig och privat vård. Några generella regler finns inte utan det verkar vara upp till vederbörande verksamhetschef att bestämma. Ofta har de offentliga arbetsgivarna sagt nej och hänvisar till risken för illojalitet och utmattning men också det motsatta förekommer. Så sent som 2018 ansåg Aleris att offentlig vård var konkurrerande verksamhet och tillät inte undertecknad en deltidstjänst som mentor på Akademiska sjukhuset. Nu finns dock ett fungerande samarbete mellan privatsjukhus och offentlig vård i många regioner runt om i landet. Samarbetet sker genom avtal med regionerna men också genom att privata aktörer hyr ut sina operationssalar med personal till de offentliga sjukhusen. Om detta är en bra lösning råder delade meningar om.

När jag var ung ortoped ansågs det som suspekt att arbeta privat och indikerade att man inte platsade inom den offentliga vården. Förhoppningsvis har detta synsätt ändrats då man idag möter många mycket kompetenta kollegor inom den privata vården både som läkare, sjuksköterskor, undersköterskor och läkarsekreterare.

Personalbrist är ett stort problem som vi alla brottas med. En lösning på dessa problem måste till om vi ska kunna utföra vårt uppdrag till gagn för våra gemensamma patienter.

I framtiden önskar man sig ett större samar-

bete mellan offentlig och privat vård, vilket skulle gynna alla, inte minst patienterna. Yngre kollegor som har svårt att komma fram kirurgiskt skulle få en chans att se och utföra standardingrepp på ett sätt som idag är omöjligt inom offentlig sjukvård pga. den stora resursbrist som finns här. Att vara på ett stort sjukhus och bara operera de komplicerade fallen är som att springa OS-final utan att någonsin träna. För att bli en bra hantverkare krävs handlag och att man utför en viss mängd ingrepp. En av mina tidigare svärmödrar som klagade på att jag arbetade för mycket och inte var hemma hos familjen utvecklade en besvärlig knäartros. Hon frågade om jag kände till någon knäkirurg på orten där hon bodde. Jag svarade att jag kände två, en som var en fantastik familjefar och opererade ca 20 proteser om året och en annan som levde för sitt jobb och opererade flera hundra varje år. Jag frågade vem av dessa hon ville att jag skulle remittera henne till ...

Multisjuka och avancerad kirurgi skulle få mer plats på de stora sjukhusen om rutinsjukvården flyttades ut.

En stor skillnad mellan offentlig och privat vård är att inom privat vård är varje patient en inkomst till skillnad från i offentlig regi där varje patient är en kostnad undantaget regionpatienter hos universitetsklinikerna. Inom privat verksamhet måste man optimera flödena för att överleva ekonomiskt.

Ökat samarbete, utan prestige, där ortopeder tillåts arbeta inom både privat och offentlig regi är nödvändigt. De privata aktörerna måste ta på sig ett större utbildningsansvar eftersom mycket av rutinkirurgin, som är nödvändig för den nya ortopeden sannolikt kommer utföras där. Rimliga avtal, som ger kostnadstäckning, krävs och ett öppet sinnelag till gagn för våra patienter behövs.

Ortopediskt Magasin 2/2023 15
Hans Rahme Docent i ortopedi Verksamhetschef S:t Johanniskliniken Specialistcenter Uppsala AB

Your Trusted Resource for Orthopedic Knowledge

OrthoPedia, an open-access website, offers a comprehensive online library of peer-reviewed educational videos designed for professionals and students in musculoskeletal medicine. Watch for monthly content updates!

Anatomy

Based on pathology

Biomechanics

Pathomechanics and classifications

OrthoPedia is just one of the innovative tools that Arthrex has developed and uses to fulfill our core value of Making People Better.

Clinical Applications

Surgical procedures by experts

© Arthrex GmbH, 2021. All rights reserved. AD2-000330-en-US_A
For more information, visit OrthoPedia.com

Jobba privat – bara guld och gröna skogar, eller?

Jag arbetar sedan drygt fyra år tillbaka i en privat verksamhet inom fot- och fotledskirurgi där vi i huvudsak tar emot patienter som har en vårdförsäkring. Här har vi mottagningsverksamhet och tillgång till såväl mottagningsoperation, narkos och även inneliggande vård.

Att jag hamnade just här var mest en slump; jag hade en ganska komplex patient framför mig på ortopedmottagningen, hon var opererad flera gånger och hon krävde att få träffa ”sin” fotkirurg (som nu jobbade privat) för att diskutera om man skulle ta bort några skruvar. Jag hade inget emot att remittera henne vidare, så jag gick in på klinikens hemsida för att se om det överhuvudtaget skulle vara möjligt, och då såg jag att de sökte fler fotkirurger… och så kom jag att byta från offentlig till privat vård.

Vi är en liten grupp doktorer, och på mottagningen finns också sköterskor, sekreterare och fysioterapeuter. En stor fördel som jag ser det är att vi totalt sett inte är fler än att vi alla ses vid fikat på förmiddagen och till lunchen. Det gör att nästan alla problem kan lösas snabbt och informellt och det finns också goda möjligheter att få hjälp av mer erfarna kollegor om man har funderingar kring ett klurigt patientfall. Det är så tillfredsställande att känna att vi är ett team som verkligen jobbar tillsammans för patientens bästa!

På mottagningen har vi tjugo minuter per patient, vilket oftast räcker bra då de sällan har en komplicerad sjukhistoria eller långa medicinlistor. Dessutom är det en lucka på tjugo minuter efter ca tre patienter, så då hinner man i kapp om någon dragit över.

Vi kirurger har jour per telefon för våra opererade patienter, en vecka i taget. Det är sällan särskilt betungande, oftast rör det sig om enstaka samtal kring smärtlindring eller att det blött igenom. Misstänker vi sårinfektion eller liknande har vi alltid möjlighet att ta patienten till mottagningen för påtitt dagen därpå. Ibland bor ju patienten dock väldigt långt bort och

då försöker vi lösa det digitalt genom att patienten skickar in bilder, men det händer förstås att vi måste hänvisa dem till sin vårdcentral. Andra typer av komplikationer såsom pseudartroser tar vi alltid hand om själva.

Vi är alla anställda, dvs ingen jobbar som konsult vilket jag tror främjar samarbetet och också minskar risken för indikationsglidning.

Eftersom vi är så få går det också relativt snabbt och lätt att jobba med förändringar och förbättringar vilket är väldigt tillfredsställande. Här finns det ju dock också en viss press från ledningen, vi måste hela tiden vara attraktiva för försäkringsbolagen, alltid vara tillgängliga och ha lediga tider, annars väljer de en annan klinik. Förbättringsarbetet underlättas dessutom av att våra ledtider är väldigt korta. Jag har ofta lediga tider inom någon/några dagar och då kan man lätt spärra några timmar för att kunna jobba med en patientinformationsbroschyr etc.

Jag har jobbat många år inom offentlig vård, och ett problem som jag ser det är att när man börjar bli mer erfaren så får man en väldigt hög andel ”svåra fall” på sin mottagning. De är redan färdigutredda av en läkare ute i regionen och har fått viss behandling, men tyvärr inte alltid helt adekvat icke-kirurgisk behandling. Det är svårt då, när patienten redan hållit på i 2-3 år att komma och säga ”nej, du har inte fått rätt rehab, du får börja om”. Att få många svåra fall leder också till att det är mer sällan man får känna sig kompetent vilket jag upplever frustrerande i längden, särskilt som det oftast inte finns någon riktig tid för att läsa på, fundera och diskutera med kollegor. Några få kluriga fall då och då är ju bara stimulerande och jag upplever att jag har en mycket bättre balans mellan ”lätt” och ”svårt” nu.

Man kan ju såklart argumentera för att jag ”slösar bort” min expertkunskap på patienter med mindre komplicerade problem, i min värld kan dock en plantar fasciit vara nog så handikappande och det är tyvärr sällan de får rätt behandling inom primärvården. Så för den patient jag har framför mig, känner jag ändå att jag gör stor skillnad. Men visst, lite kan

man ju tröttna när man för tredje gången samma dag rapar upp stretchingsråd för hälsporre.

Finns det några nackdelar då? Ibland saknar jag undervisningen, och att ha läkare under utbildning hos mig. Som tur är kommer det ibland ST-läkare till oss för att auskultera under några veckor, det är verkligen jätteroligt. Både att få höra lite kring verkligheten ute på storsjukhusen och eventuella förändringar i handläggningen av akuta skador men framför allt att få möjlighet att demonstrera och diskutera kring vanliga fotkirurgiska patienter, som vi har i stor mängd.

Forskning är svår att få till på arbetstid, enklare kvalitetsuppföljningar av den egna verksamheten kan man förstås få göra, men ingen regelrätt forskning. Däremot finns möjligheten att arbeta deltid och på så sätt få tid för forskning med finansiering från annat håll.

Det kan också vara frustrerande att inte få möjlighet att operera sin patient, på grund av att hen inte godkänns för narkos, hos oss. Vanligaste orsaken till det är för högt BMI (vår gräns ligger på 35), men ibland har patienten andra sjukdomar som gör att narkosläkaren bedömer det som för riskabelt. I grunden är det ju bra, att ha ett högt säkerhetstänk, då vi inte har samma resurser som ett storsjukhus, men frustrerande för kirurgen. I sällsynta fall är det försäkringsbolaget som säger nej, vanligen för att patienten haft sina besvär innan försäkringen tecknades.

Sammanfattningsvis – det är mycket som fungerar bra hos oss. En önskan är ju att alla patienter i Sverige skulle få hjälp lika snabbt och smidigt även inom all offentlig vård.

18 Ortopediskt Magasin 2/2023
TEMA: OFFENTLIG VS PRIVAT VÅRD

Offentlig sektor – ett ideologiskt val

Jag heter Henrik Johnard, är 55 år och arbetar som överläkare på Ortopedkliniken i NU-sjukvården, dvs Norra Älvsborgs Länssjukhus

NÄL + Uddevalla Sjukhus. Här har jag stannat och haft olika arbetsuppgifter sedan AT 1995.

Jag kanske har haft tur som under alla år haft en fungerande arbetsplats där vi nästan alltid haft en bra stämning och kollegialitet trots tidvis mycket stora påfrestningar med omstruktureringar, besparingar och hantering av rent destruktiva beslut uppifrån. En arbetsplats där jag fått utvecklas mycket utifrån egna preferenser och val, och där det varit relativt generöst med utbildning och fortbildning. En stabil klinik på ett sjukhus i en del av landet som jag känner för och värnar om. Där jag vill att sjukvården ska fungera. Självklart har faktorer som dessa bidragit till att jag stannat kvar i VGR och den offentliga vården trots alla de problem som finns där.

Men i grunden är det också ett ideologiskt val. Jag tycker det är så otroligt viktigt för ett samhälle att ha en sjukvård som är av hög klass och lika för alla. Tänk er alternativet. Sjukvården ska kunna

klara av att ge alla oavsett bakgrund, sjuklighet och ekonomiska förutsättningar en värdig vård på lika villkor, och minst lika viktigt – vi ska prioritera dem som har störst behov. Detta kräver mycket stora resurser, som vi historiskt kunnat bygga upp inom den offentliga verksamheten. Detta mål om god vård för alla är för mig överordnat många andra mål som diskuterats inom sjukvården som t ex tillgänglighet och korta väntetider (som så klart också är viktiga och som en välfungerande offentlig vård borde klara av). Jag tycker också själva sammanblandningen av offentligt och privat är problematisk, dvs offentligt finansierad privat vård.

Som jag ser det är den offentliga sjukvården garanten för just det jag beskriver. Det offentliga är grunden, stommen i systemet. Vi utbildar alla nya medarbetare, vi har resurser och kompetens att behandla alla sorters patienter, vi har inga ekonomiska incitament att välja vissa patienter eller att utföra vissa typer av behandlingar utan kan se till vad var och en behöver, och kanske lika viktigt –inte behöver.

Det är ohyggligt komplicerat och komplext att klara av allt detta, både för organisationen men också för den enskilda medarbetaren. För det är ett många gånger tufft jobb att vara offentlig läkare,

inte minst i tider av platsbrist, personalbrist och otroligt mycket patienter.

Vad som ändå, än så länge, väger upp den ofta besvärliga arbetssituationen är dels tillfredsställelsen av nöjda patienter, men också att sjukhuset är en sådan fantastiskt intressant arbetsplats. Så många skilda verksamheter, så många skickliga kollegor i olika specialiteter, så spännande att vara en del i denna organism som sjukhuset utgör. Det är verkligen roligt när samarbetet fungerar, när man får använda allt sitt kunnande och samarbeta med både ortopedkollegor och andra för att lösa patienternas problem. Hela tiden ett lärande. Vi är beroende av varandra för att såväl vård som utbildning ska fungera. I detta ligger också mycket av arbetsglädjen med att vara läkare, och trots hård belastning får vi aldrig glömma vilket otroligt häftigt jobb vi har. Jag uppskattar att få ha så stor variation i vardagen som jag har på sjukhuset med många olika arbetsuppgifter inom såväl planerad som akut vård och jourverksamhet. Det betyder också att jag gör ganska många olika sorters operationer trots en viss subspecialisering.

Så, med detta sagt väljer jag gärna den offentliga vården.

Ortopediskt Magasin 2/2023 19
Uddevalla sjukhus

Rädda ryggjouren!

Så använder vi en ändlig resurs på ett smartare sätt

När privata vårdgivare tar över stora delar av den elektiva vården riskerar den offentliga vården att dräneras på bakjourkompententa medarbetare. Det gäller särskilt inom ryggkirurgin där vi måste använda ryggjourslinjen på rätt sätt.

Ryggkirurgi görs i Sverige av både neurokirurger och ortopeder. Vilken specialitet som gör vad beror ofta på lokala traditioner. Generellt kan sägas att all intradural ryggkirurgi görs av neurokirurger, medan den extradurala ryggkirurgin kan göras av både ortopeder och neurokirurger.

Utvecklingen inom ortopedin och ryggkirurgin skiljer sig sannolikt inte från andra specialiteter – med tiden sker en ökande grad av subspecialisering och inom ryggkirurgin skedde detta ganska tidigt.

Någon gång under 1990-talet startades ryggjourslinjer vid universitetssjukhusens ortopedkliniker. I början skedde detta delvis på ideell basis ingen ersättning alls gavs för beredskapen där artikelförfattaren arbetade, utan enbart för faktiskt arbetad tid. Numera ersätts även tiden i beredskap. Samtliga universitetssjukhus har nu en ryggjourslinje som är tillgänglig dygnet runt.

Det successivt ökande trycket på ryggjoursverksamheten har gjort att allt färre av oss som ägnar oss på heltid åt ryggkirurgi på de större sjukhusen deltar i den vanliga ortopediska verksamheten. Det har i sin tur lett till en utspädning av kunskapen hos övriga ortopeder på de stora sjukhusen och då i sin tur ett ökat tryck på ryggjouren. Efter hand har också intresset och kunskapen om akut handläggning av ryggsjukdomar på övriga sjukhus minskat, och trycket på ryggjoursverksamheten ökat ytterligare, kombinerat med att flera sjukhus helt enkelt slutat bedriva ryggkirurgi.

Behandlingen av akuta ryggsjukdomar har förstås utvecklats. Som exempel kan nämnas att vi på senare år blivit aktivare när det gäller behandling av cauda equinasyndrom på så sätt att även inkompletta sådana behandlas med snar kirurgi. Anledningen är att prognosen för dessa är bättre än om ett komplett cauda equina-syndrom utvecklats. Även epi-

duralabscesser ska ofta behandlas aktivt med snar kirurgi redan vid risk för neurologisk påverkan. Man kan också nämna att inkomplett ryggmärgsmärgsskada är ett mycket akut tillstånd, i synnerhet vid pågående ryggmärgspåverkan, och ska behandlas mycket skyndsamt.

Numera registreras årligen cirka 10000 ryggkirurgiska operationer i det nationella ryggregistret Swespine, som omfattar både akut och elektiv kirurgisk behandling av degenerativa sjukdomar i halsrygg och ländrygg, kirurgisk behandling av metastaser och primära infektioner i kotpelaren och behandling av ryggradsdeformiteter (www.swespine.se). Dessutom registreras varje år omkring 2000 kotpelarskador i Frakturregistret, varav omkring 400 opereras (www.sfr. registercentrum.se)

En ständig relativ resursbrist finns i sjukvården och vi måste ständigt hitta sätt att effektivisera verksamheten. Det är otvetydigt så att effektivare flöden av elektiva patienter kan ske inom flöden som helt separats från den akuta verksamheten. Detta kan ske på olika sätt, inom ramen för ett akutsjukhus där den elektiva kirurgin är helt fredad från akutverksamheten, eller i separata lokaler.

Som led i denna effektivisering har i vissa regioner andra arbetsgivare för elektiv ryggkirurgi uppstått utanför de stora sjukhusen. Det har väsentligt förbättrat arbetsmarknaden för ryggkirurger. Det har medfört att ryggkirurgisk kompetens lämnat universitetssjukhusen och därmed ryggjourslinjerna, vilket inneburit att allt färre delar på jourbördan. Så småningom kan detta leda till ett mer eller mindre akut problem. Ett sådant problem har nu aktualiserats i Stockholm (Se Läkartidningen 2023-04-19: Nya krav för privata aktörer föreslås: Måste delta i jour och utbildning (lakartidningen.se)) där antalet ryggkirurger som har kunskap om och kan bemanna ryggjouren minskat dramatiskt de senaste åren.

Som ett exempel på fungerande samverkan med en elektiv enhet kan nämnas att Akademiska sjukhusets ryggkirurgiska sektion utför även den planerade basala ryggkirurgin i Uppsala i samarbete med en privat aktör. Vi kan då bibehålla kompetent personal inom ramen för akutverksamheten och ha en tillräcklig bemanning av ryggjouren.

Vi som ingår i ryggjoursverksamheten vill naturligtvis också ge en hög grad av service. Medelantal telefonsamtal på en dag kan uppgå till så mycket som 10 samtal per miljon invånare i upptagningsområdet. Vår uppfattning är att kvaliteten på den rapport som konsulterande läkare ger sjunkit med tiden. Emellanåt har inte den som ringer sett patienten själv utan fått som uppgift från avgående jour att ringa ryggjouren och läser helt enkelt innantill i journalen och röntgensvaret. Det förekommer också att man har svårigheter att tolka ett röntgensvar och vill inte störa den egna röntgenläkaren eller sin egen ortopedbakjour.

Tidigare ingick operativ kunskap om basal ryggkirurgi i kraven för att bli specialist i ortopedi. Efterhand har kraven på kunnande om den ryggkirurgiska delen minskats för ST i ortopedi och utgörs numera enbart av att ha assisterat vid operation av lumbalt diskbråck eller spinal stenos (SOSFS 2015:8 och HSLF-FS 2021:8). I detta sammanhang kan det vara värt att nämna att kraven för ST inom neurokirurgi är högre än för ST i ortopedi vad gäller ryggkirurgi. Samtidigt utförs den stora majoriteten av ryggkirurgiska ingrepp av specialister i ortopedi i Sverige.

Svensk Ortopedisk Förenings initiativ Bakjoursskolan är ett ypperligt tillfälle att förbättra kvaliteten i konsultationer. Vi diskuterar då jourfall och deras handläggning och försöker lära ut vad man bör ringa om, och vid vilken tidpunkt på dygnet. Vissa saker behöver bedömas oavsett tid på dygnet och annat kan vänta till morgonen efter.

20 Ortopediskt Magasin 2/2023 TEMA:
OFFENTLIG VS PRIVAT VÅRD

DÅ SKA DU RINGA RYGGJOUREN

Innan du ringer ryggjouren föreslås att du Har undersökt patienten

Bedömt om patienten är operabel

Ordnat så att eventuella CT- och MR-bilder är länkade

Kan återge information om andra skador eller sjukdomar som är relevanta för omhändertagandet

Förankrat frågeställningen med den egna ortopedbakjouren

När ska du ringa nattetid?

Exempel på tillstånd där akut kontakt med ryggjour är indicerad oavsett tid på dygnet

PATIENTFALL 1

Äldre kvinna som fallit utomhus. Vid fallet hade hon kraftigt nedsatt motorisk funktion i armar och ben. Efter fallet skedde en återhämtning av den motoriska funktionen. Rörelse i halsryggen gav intensiv nacksmärta och samtidig utstrålande smärta i armar och ben. Datortomografi visade degenerativa förändringar i halsryggen utan säker skelettskada. Magnetkamera visade ett prevertebralt ödem mellan C5 och C6, cervikal spinal stenos mellan C5 och C7 och ödem i ryggmärgen. Det prevertebrala ödemet ingav misstanke om genomgående ligamentskador i halsryggen.

Svar: Återhämtning av den motoriska funktionen i detta fall gör att kirurgisk behandling inte behöver göras omedel bart. Tidigare eller pågående neurologisk påverkan är ett mycket allvarligt tecken som indikerar instabilitet i halsryggen. Misstanken om genomgående ligament-

Akut utredning eller åtgärd behövs nattetid

Kirurgi behövs akut eller tidigt på dagen

Cauda equinasyndrom

Kotpelarskador i hals-, bröst- och ländrygg med klar neurologisk påverkan

Progredierande pareser orsakat av infektion, tumör eller fraktur i kotpelaren

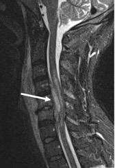
PATIENTFALL 2

Patient med anamnes på missbruk inneliggande på infektionsavdelning på grund av feber, sjukdomskänsla och högt CRP. Han har också nackvärk och sedan i morse tilltagande svaghet i armar och ben. Magnetkamera visar uttalad prevertebral svullnad, spondylodiskit mellan C5 och C6, och epiduralabscess i halsryggen (pil).

Svar: Progredierande neurologi gör detta till ett mycket akut tillstånd. Patienten ska opereras så fort det är möjligt och oavsett tid på dygnet. Vanligaste tillvägagångssätt vid operation av spondylodiskit och epiduralabscess i halsryggen är främre dekompression och fusion men även bakre dekompression är möjlig.

PATIENTFALL 3

Det är sen eftermiddag på fredagen och ännu ett samtal kommer fram på ryggjourstelefonen. Det rör en man med ryggsmärta sedan ett par veckor och sista veckan allt trögare att kissa. Ont i vänster ben. Resurin på 200 ml efter miktion. Sfinktertonus kanske nedsatt. Känselnedsättning i underlivet. Och den kanske inte helt oväntade delen av rapporten: ”Vi har inte tillgång till magnetkamera under helgen”. Frågan är när patienten ska göra magnetkameraundersökning?

Svar: I detta fall så har progressen skett ganska långsamt, men symtomen är i tilltagande. Det är rimligt att göra magnetkameraundersökningen nästa dag. Datortomografi kan användas som ett andrahandsalternativ för diagnostik av ett cauda equina-syndrom om magnetkamera inte är tillgänglig.

Författaren riktar ett särskilt tack till Christian Carrwik för återkoppling på innehållet i denna artikel.

Paul Gerdhem Sektionschef och professor Ryggsektionen, VO Ortopedi & handkirurgi Akademiska sjukhuset Uppsala
Ortopediskt Magasin 2/2023 21

Arbeta offentligt eller privat – det är frågan

Filip Nilsson och Anna Dahl är två yngre specialister i ortopedi som efter snarlika starter med ST på stora traumacenter på Sahlgrenska respektive Södersjukhuset har valt olika vägar vidare i karriären, Filip på privat klinik och Anna i offentlig verksamhet.

FILIP NILSSON blev efter specialistbeviset 2018 en del av fotsektionen på Sahlgrenska. ”Det var en bra blandning mellan stort och smått, varmt och kallt, öppen kirurgi och skopi och ett trevligt arbetslag med god tillgång till mentorskap och handledning,” berättar Filip.

Då det till stor del är icke-akut kirurgi blev det väldigt utsatt för den minskande tillgången till operationsresurser i samband med pandemin med mycket strykningar, och mycket patienter på väntelistan. Efter pandemin kom sköterskebristen samtidigt som patienterna hörde av sig och ville prioriteras upp. ”Man får jobba mer och mer med logistik när väntetiderna ökar – plötsligt är röntgen för gammal, det enklare ingrepp man planerat från början är inte längre tillräckligt och man får planera om. Det känns som att mer tid går till att administrera patienterna som väntar på operation än till att behandla dem, och det blir i längden slitigt mentalt och inte så utvecklande.”

Detta tillsammans med känslan av att volymerna totalt blev för små för att utvecklas vidare blev den största anledningen till att Filip efter 3,5 år som specialist valde att börja jobba deltid privat, och efter ett år bli heltidsanställd på Fotcenter i Göteborg. ”Att jobba 60/40 för olika arbetsgivare resulterar alltid i mer än 100 procent i slutändan, man lägger mer tid än man har på båda ställena.”

Filip har tyckt det känns hemtamt att vara på en liten privatklinik med mycket barndomsminnen från pappans tandläkarpraktik. ”På privatkliniken blir det mer patientfokus och patienterna får en rakare väg igenom vårdkedjan. Det blir också lite av ett perspektivskifte när en patient ses som en inkomst snarare än som en utgift som det nästan kan bli i den offentliga vården,” säger Filip. ”Stämningen är annorlunda när hela enheten med samtliga personalkategorier jobbar tillsammans, fikar tillsammans, driver och utvecklar enheten tillsammans. På ett större sjukhus är man som ortoped nästan alltid gästspelare både på mottagning, avdelning, akuten och operation där man han medicinskt

ansvar men begränsat inflytande över det totala flödet.”

På privatklinik blir det större spridning på patientklientelet då de har fler vägar in – en blandning av vårdgarantipatienter, de från privata vårdförsäkringar och de som betalar ur egen ficka. ”Vissa försäkringspatienter och de som söker själv kommer helt oselekterat och många hade inte behövt träffa en specialist utan snarare en fysioterapeut – men det ger en spännande insikt i panoramat av fotbesvär folk har och tillsammans med de svårare fallen blir det en bra blandning.”

I genomsnitt uppskattar Filip att han har ca 50% av sin tjänst på mottagning, 40% på operation och 10% administration. Utbildningsmässigt har han möjlighet till tio utbildningsdagar per år och inläsning kan ske på administrativ tid – i mån av tid.

Filip tycker det har funkat bra med vidareutbildning, han har en mentor på systerkliniken i Stockholm med vilken han har regelbundna falldiskussioner och gemensamma operationsdagar några gånger per år. Han uppskattar att det finns fortsatt utrymme för personlig vidareutveckling i 5-10 år till i hans nuvarande tjänst, men därefter kanske han kan behöva söka sig vidare för att fortsätta att utvecklas –kanske tillbaka till universitetskliniken. ”Det finns en mer naturlig plats för diskussion, för ett mer akademiskt synsätt som saknas på en privat enhet.” Jour i lagom dos, traumafall och de mer komplexa fallen är också något han saknar från offentlig verksamhet. ”Dock inte i sådan utsträckning att det uppväger fördelarna med planerbarheten på privatkliniken på många år än,” skrattar han.

Filips råd till yngre kollegor som står inför karriärsval är att våga prova olika utan att bränna broarna bakom sig. ”Känner man sig frustrerad där man är och inte har de möjligheter man skulle vilja att utvecklas, ha en bra arbetsmiljö och fungerande privatliv, så kanske man inte är på rätt ställe.” Angående tidpunkt och förkunskaper tycker Filip att många har en bild av att man behöver vara väldigt erfaren för att gå ut i privat verksamhet, något han inte håller med om. ”Man behöver vara självständig men absolut inte fullärd, bara var ärlig med vad du kan och inte kan och vad du behöver för resurser av din arbetsgivare för att fortsätta utvecklas.”

ANNA DAHL arbetar i protessektionen på Helsingborgs lasarett men är också en del av primärjourledet och har påbörjat Bakjoursskolan, en

TEMA: OFFENTLIG VS PRIVAT VÅRD
FILIP NILSSON Specialist på fotsektionen Sahlgrenska sjukhuset Göteborg. Foto: Jörgen Hinder.
Epiphysen 22 Ortopediskt Magasin 2/2023
ANNA DAHL Specialist på protessektionen Helsingborgs lasarett Foto: Anna-Karin Svensson.

bredd och variation hon trivs med. ”Bredden är den största fördelen med att jobba i offentlig verksamhet, både kirurgiskt, i schemaraderna och kollegialt,” tycker Anna. Hon har gjort ett aktivt val att stanna i det offentliga men har inte stängt dörren för att en dag jobba privat.

Hon upplever att hon har stora möjligheter att utvecklas inom proteskirurgin med en generös hållning för att gå kurser och stora möjligheter att öka komplexiteten i sina fall och få handledning av mer erfarna kollegor, men det blir lite på bekostnad av traumatologin. ”Det är väldigt svårt att utvecklas så brett inom ramen av en heltidstjänst, och i princip omöjligt om man jobbar deltid.”

De nya utmaningarna man ständigt möts av blir både motiverande och pressande. ”En bra dag är det jättespännande och roligt att ta sig an nya saker och utvecklas; en dålig dag blir det bara en anledning till störd nattsömn, och möjligheten att jobba privat med något man behärskar känns som ett lockande alternativ.” Ändå ser hon risken att utmaningarna blir för små som en av de stora nackdelarna med att arbeta privat. ”Kirurgin tror jag är tillräckligt varierande oavsett för att det ska kännas motiverande, men att ha så smal mottagning tror jag hade blivit för enahanda för mig.”

Att vara på en arbetsplats med färre roller att fylla kan dock vara en styrka – på ortopeden i Helsingborg bedrivs mycket av den elektiva verksamheten på det närliggande sjukhuset i Ängelholm. ”Vart jag än är tycker personalen alltid att det var länge sedan de såg mig och det är ständigt svårt att hitta tid för uppföljningar på rätt mottagning. Det blir lite splittrat att ha flera arbetsplatser och många olika schemafunktioner, men är samtidigt också det som gör det roligt och varierande.”

Anna har en heltidstjänst men tar löpande ut komp och ledighet för att jobba ca 80%, och flexibiliteten i detta tycker hon är en stor styrka. Jourverksamhet går onekligen ut över privatlivet, och luft behövs någonstans i systemet för

Årets slipsten

att få ihop det; där är jourkomp en stor tillgång. ”Det går inte att förneka att tanken på kontorstidsarbete också lockar, och det är skönt att veta att det alternativet finns. Ett helt arbetsliv med jourverksamhet är slitsamt.”

Det Anna ser som fördelarna med att arbeta privat är framförallt möjligheten till regelbundna arbetstider och möjlighet till deltidsarbete som inte blir på bekostnad av ens kirurgiska kompetens när man nischat sig. Hon ser också fördelarna med att kunna vara med och styra verksamheten och vara delaktig i beslut på fler nivåer på en liten enhet.

Hennes råd till nyblivna specialister är att stanna i offentlig verksamhet ett tag och jobba upp sin bredd och behålla en bredare bild och kompetens allmänortopediskt innan man eventuellt går över till privat verksamhet om man inte redan från början har ett starkt specifikt intresse. ”Jag tror dock inte att man låser sig om man relativt tidigt i sin karriär väljer att arbeta privat. Om man i senare skede vill bredda sig och återuppta traumatologin, exempelvis, är man nog alltid välkommen till en vettig arbetsgivare som ser värdet av ens spetskompetens och istället får ta höjd för att man behöver mer stöttning för att återuppta traumakompetensen,” säger Anna. I nuläget har hon svårt att se framför sig att hon kommer jobba privat, åtminstone heltid, på sikt.

Efter att ha pratat med både Anna och Filip får jag känslan av att de har en stor samsyn runt vad som är för- och nackdelarna med deras respektive verksamhet, och det som har vägt tyngre i vågskålen för den ena är det just det den andra saknar där de är. Så den perfekta arbetsplatsen med en bred och utvecklande klinik, planerbar vardag och stort inflytande över verksamheten utan sårbarhet för ständiga omprioriteringar kanske inte finns med på menyn än – men vem vet hur morgondagens ortopedi ser ut? I nuläget får man nog helt enkelt välja vad som är viktigast för en beroende på var i livet och karriären man är och, som Filip förespråkar, våga prova sig fram; val av arbetsgivare är inte nödvändigtvis på livstid.

Epiphysen vill lyfta fram goda exempel på kliniker som har gjort något smart och genomtänkt för att vässa utbildningskvaliteten för ST-läkare.

Det kan vara allt från en schemateknisk lösning till ett nytt sätt att planera operation eller mottagning. I er nominering till Årets slipsten 2023 önskar vi att ni berättar om vad kliniken har gjort och hur förändringen genomfördes.

Årets slipsten 2023” kommer att delas ut i samband med Ortopediveckan i Göteborg 2023 under epiphysens program på eftermiddagen, onsdag 30 augusti. Nominera ert förbättringsarbete senast 15 augusti via e-post till epiphysen@ortopedi.se med ämnesraden ”Årets slipsten".

Ortopediskt Magasin 2/2023 23

Starta eget företag

Att kunna skicka en faktura från ett eget företag är inte så dumt. Detta oavsett om du hållit ett arvoderat föredrag eller kanske planerar att ta andra konsultuppdrag. Självklart är ett eget företag en förutsättning för dig som ska öppna en egen verksamhet, men då är du nog redan förbi den grundläggande information som den här artikeln erbjuder.

Ortopediskt Magasin har pratat med Jonas Gabot, Auktoriserad Redovisningskonsult på EkoGruppen i Väst AB. De hjälper företag från startstadiet till avancerad redovisning.

FÅR JAG TA UPPDRAG PÅ SIDAN OM?

Det är en högst relevant fråga att börja med, menar Jonas Gabot. Om du är anställd, vare sig det är inom offentlig eller privat vård, ska du säkerställa att din arbetsgivare är okej med den typ av verksamhet du tänkt driva via företaget. Se till att få ett skriftligt godkännande.

ENSKILD FIRMA …

De absolut vanligaste företagsformerna är enskild firma och aktiebolag. Jonas Gabot tycker att man ska fundera över omfattningen av de uppdrag man tänkt ta in i företaget, när man ska välja bolagsform.

– Enskild firma är den enklaste företagsformen. Du är som ägare personligt ansvarig för alla skulder och ingångna avtal i företaget, vilket kan vara en risk. Företagets ekonomi och den privata ekonomin är inte tydligt separerade och alla pengar du tjänar räknas som inkomst av näringsverksamhet. Det betyder att du som har en anställning med en hög lön snabbt kommer att få en hög total beskattning. Det finns möjlighet till att sätta av till periodiseringsfond, ett sätt att skjuta upp beskattningen framåt i tiden, som längst 6 år. Skatten ska dock förr eller senare betalas och i dessa fall kan det vara en fördel med aktiebolag då det går att ta utdelning till en skatt på 20 procent.

Att komma igång med en enskild firma är enkelt. Du ansöker på verksamt.se om att bli godkänd för F-skatt, du registrerar dig för moms och om du ska ha anställda ska du registrera dig som arbetsgivare. Om du vill skydda ditt företagsnamn hos Bolagsverket kostar det 1200 kronor.

… ELLER AKTIEBOLAG?

– Vet man med sig att man kommer köra fullt som företagare, så kan aktiebolagsformen vara en fördel. Numera är aktiekapitalet som lägst ska sättas in endast 25000 kr. I ett aktiebolag kan du i normalfallet inte förlora mer än ditt insatta aktiekapital, så länge du sköter rapportering och deklaration, samt inte tecknar privat borgen för firman. Viktigt här är även att du följer reglerna kring eventuellt förbrukat eget kapital annars kan du bli personligt betalningsansvarig för skulder som uppkommer efter att bolaget fått förbrukat eget kapital. Det är aktiebolaget som är juridisk person och ingår avtal.

Ett enkelt och snabbt sätt att komma igång är att köpa ett så kallat lagerbolag. Det kostar några tusenlappar och tjänsten erbjuds av ett antal olika aktörer. Det går också att starta via verksamt.se, ofta till en liten lägre kostnad men att det tar lite längre tid än ett färdigt lagerbolag.

– Man kan vara igång med sin verksamhet vid köp av ett lagerbolag samma dag, så fort man fått sitt organisationsnummer. Ett lagerbolag är ett redan grundat bolag med eget organsatiionsnummer.

Du behöver själv gå till banken och få ett bankintyg, öppna ett företagskonto i företagets namn samt sätta in aktiekapitalet på 25000 kr.

Administrationen kring ett aktiebolag är något mer omfattande än i en enskild firma, men det finns en tydlig fördel då verksamheten genererar

Bild: Mostphotos

FÖLJANDE KOSTNADER KAN DU BELASTA FÖRETAGET MED

Rese- och boendekostnader i samband med jobb.

• IT- och telefonikostnader i samband med jobb.

• Hyra av eventuell kontorsplats i den egna bostaden.

RÄKNEEXEMPEL –BESKATTNING I OLIKA BOLAGSFORMER

Enskild firma

Egenavgift: 28,97%

Inkomstskatt (kommunalskatt 31,5% + 20% statlig inkomstskatt): 50%

Total beskattning: 78,97%

Aktiebolag (ej hänsyn tagen till löneuttag)

Bolagsskatt: 20,06%

Beskattning av inkomst av kapital: 30%*

Total beskattning: 50,06%

*Enligt 3:12-reglen kan du dessutom i ett aktiebolag ta ut de första 195 000 kronorna till en beskattning på 20%.

24 Ortopediskt Magasin 2/2023
jonas Gabot, Auktoriserad Redovisningskonsult på EkoGruppen i Väst AB.
TEMA: OFFENTLIG VS PRIVAT VÅRD

vinster som överstiger brytpunkten för statlig skatt. Fördelen är att du i ett aktiebolag kan välja att ta utdelning istället för lön om det finns vinstmedel i bolaget. Skatten på utdelning är för närvarande 20 procent, förutsatt att du har sparat ihop utdelningsutrymme enligt den så kallade K10-deklarationen.

REVISOR

Du behöver inte ha någon revisor i en enskild firma och inte heller i ett aktiebolag så länge du har tre anställda eller färre, har mindre än 1,5 miljoner kronor i balansomslutning och en omsättning på mindre än 3 miljoner kronor. Om du överträffar samma två av dessa kriterier två räkenskapsår i rad, så måste du anlita revisor det tredje året.

VAR NOGA MED BOKFÖRINGEN

Oavsett vilken bolagsform du har, måste du förstås sköta din bokföring. De flesta gör det i ett digitalt bokföringsprogram. Jonas Gabots råd är att vara noga med att spara och samla alla kvitton och underlag. Oavsett om det är du själv eller en byrå som hjälper dig med bokföringen är det onödigt att ödsla tid på att leta efter borttappade kvitton.

Många försöker sköta bokföringen själva i början, men utan ekonomisk utbildning i botten kan det vara svårt att få allt på rätt plats. Hur mycket bokföringen kostar är svårt att säga, det handlar om hur mycket tid byrån lägger ner på just ditt företag. Men för ett litet enmansbolag med få verifikat bör det stoppa på 2-3 timmar.

– Ett gott råd är att ta hjälp till en början för att få ordning på allt. Sedan kan du stegvis lära dig själv – om det är det du vill. Vissa lejer till exempel bort bokföringen, men fakturerar själva.

I SLUTET AV ÅRET

I den enskilda firman upprättar du i slutet av inkomståret ett förenklat årsbokslut, samt lämnar in din inkomstdeklaration med tillhörande NE-bilaga för din näringsverksamhet. Deklarationen blir lite mer komplicerad när du har en enskild firma, vilket kan innebära att du behöver ta hjälp med den.

I ett aktiebolag upprättas ett årsbokslut, en balans- och resultaträkning, årsredovisning samt en bolagsdeklaration för bolaget. Många tar hjälp med detta eftersom det är ganska komplicerat med många regler att hålla koll på. Det är oftast värt pengarna.

FÖRSÄKRING

Sist men inte minst är det viktigt att påminna om att en företagsförsäkring bör vara i stort sett det första du tecknar i ditt bolag, oavsett bolagsform. Även en tjänstepensionförsäkring är något man behöver fundera på att teckna för sig själv.

Dagbok från akuten av Hanne Kjöller

Om man får lite ledigt över sommaren och vill få en förklaring till varför man kanske inte längtar tillbaka till akuten så kan man läsa Hanne Kjöllers bok ”Dagbok från akuten”. Hanne Kjöller är sjuksköterska i botten men har jobbat som kolumnist och författare i decennier. Under pandemin ville hon hjälpa till kliniskt och tog jobb som sjuksköterska på två olika akutmottagningar i Stockholm. Hon är väl insatt i politik, ekonomi och hälsofrågor och har skrivit denna rafflande, rätt krassa, bok om sina upplevelser under Corona-åren.

Boken har ett starkt Stockholmsperspektiv och huvudstadens innevånare framställs som en hop bortskämda barnungar med orimliga förväntningar på vad vården ska kunna åstadkomma. Hon beskriver också på pricken hur politiker och beslutsfattare låter sig drivas av kraven från denna högljudda hop och hur sjukvårdens resurser missbrukas i ivern att undvika klagomål.

Hon tar upp allt som vi alla säkert funderat över. Primärvårdens tillkortakommanden, de nya digitala förkylningsakuterna, varför vi är så många och åstadkommer så lite, varför vi röntgar mer än någonsin, schemaläggningens brister, dokumentationshysterin, rädslan att göra fel och personalbristen.

Boken är kritisk men ändå förklarande. Som vårdanställd känner man att någon faktiskt tar bladet från munnen och ger en tydlig och träffande beskrivning av verkligheten. Det är också roligt att Hanne Kjöller kan jämföra då och nu. För 25 år sedan jobbade hon som nattsköterska på SÖS och nu beskriver hon en ambivalent come-back. Utvecklingen under dessa drygt två decennier är inte bara till det bättre konstaterar hon.

Även vi läkare får oss en känga. Vi beskrivs förvisso i rätt solidariska termer men också som lite mesiga och oförmögna att tänka själva. Kåren har blivit lite lat och vi vågar inte använda vår pondus när rutiner och PM kräver vårt sunda förnuft för att inte göra mer skada än nytta.

Boken är rätt kort och framför allt lättläst. Om man tar med den till släktsammankomsten på midsommar så klämmer man lätt in den mellan sillen och små grodorna. Då hinner man ändå göra en paus för att tända grillen och kan hävda att man arbetar om man vill slippa undan svärmor en stund. Riktigt läsvärd sommarlektyr, och frågan om varför man inte längtar tillbaka till akuten efter semestern har möjligen besvarats när midsommardagen nalkas.

Ortopediskt
2/2023 25
Magasin
Karin Bernhoff Huvudredaktör Ortopediskt Magasin
BOKRECENSION
Linda Linnskog Rudh Redaktionschef Ortopediskt Magasin

AAOS ANNUAL MEETING

Störst som vanligt – men var fanns svenskarna?

Över 20 000 besökare och allt kändes nästan som vanligt efter pandemin. Förutom en sak.

Förra årets upplaga av världens största ortopedimöte hade tung pandemiprägel med gles internationell närvaro och deltagare med munskydd.

När AAOS Annual Meeting återkom till Las Vegas i början av mars var det som att pandemin aldrig hade ägt rum. Många deltagare från Asien och Latinamerika, trängsel i korridorerna och heltäckningsmattan i utställningshallen var tillbaka. Att kongressen arrangerades i direkt anslutning till ett casino bidrog möjligen också till flärden – mer än en ortoped med kongressbricka syntes vid spelborden under lunchpauserna

Mötet är stort och kan vara svåröverskådligt och det är svårt att beskriva något tema. På postersidan var artificiell intelligens (AI) ett trendande modeord och ibland tycktes författarna bara ha bytt ut ordet regressionsanalys mot ”machine learning”. Maskiner, eller rättare sagt robotar, var ett genomgående tema hos flera av de stora jättarna i den tekniska utställningen. Från att tidigare år ha varit en rolig pryl i hörnet var robotar av olika slag dragplåster i mer än en monter.

Den amerikanska ortopedföreningen AAOS har cirka 40 000 medlemmar och med tillgångar på nära två miljarder(!) kronor finns det resurser till stora satsningar. Förutom årsmötet har man ett eget utbildningscenter, omfattande bokutgivning och naturligtvis kursverksamhet. På årets möte lanserade man lärplattformen ROCK, Resident Orthopaedic Core Knowledge, som efter några års förberedelser nu är helt klar. Den liknar till viss del vår svenska nätbaserade självstudiekurs OrtoS men innehåller 544 kapitel, 3400+ frågor och 800+ filmklipp. Kursavsnitten är kopplade till inspelade föreläsningar från årsmötet och till relevanta bokkapitel och artiklar. Studierektorerna kan följa sina adepters framsteg och det finns (naturligtvis) en topplista över sjukhusen där ST-läkarna svarar bäst på proven. En del överväger också att använda lärplattformen som inträdesprov för blivande ST, vilket säger en del om hur populär vår specialitet är.

AAOS byter "president” varje år enligt en fastslagen successionsordning och tillträdande ordförandens installationstal brukar vara en bra indikator på vilka frågor som är stora för våra amerikanska kolleger. Nye ordföranden Kevin J. Bozic, professor och proteskirurg i Austin, talade som förväntat om problemen med ersättningsnivåer från försäkringsbolagen och “drakoniska” regler som hämmar ortopeders effektivitet. Lika förutsägbart var även hans fru och tre döttrar med på scenen när han installerades – men mer oväntat var att han berättade att ett av barnen haft problem med psykisk ohälsa och missbruk. Han kopplade det till ett resonemang kring utbrändhet hos läkare, som sent omsider blivit en stor fråga i USA. Bozic uppmanade åhörarna att inte skämmas för att tala om sitt eget mentala välbefinnande, ett tecken på att även “mjuka” värden börjar komma på agendan i den annars så resultatorienterade och prestigefyllda amerikanska ortopedvärlden.

INTERNATIONELLA KVINNODAGEN

… uppmärksammades både av utställare och i själva programmet. Det presenterades bland andra ett symposium om hur man kan arbeta för att få fler kvinnor att välja ortopedi som specialitet (Moving Towards a Critical Mass of Women in Orthopaedics) samt ett om arbetsmiljörisker under graviditet (The Pregnant Orthopaedic Surgeon: An evideance-based Approach). Det senare hade i stort samma innehåll som den artikel som publicerats i OM 2008 och sedan uppdaterats av Epiphysen härom året. Vad gäller rekommendationer kring röntgenstrålning och cement var det inget nytt under solen. Stort fokus lades också på antal arbetade timmar per vecka och den ökade risken för ohälsa (inte bara hos gravida) när de översteg 60 timmar per vecka och dessutom kombinerades med nattarbete.

I bägge symposierna lyftes det faktum att bristande/avsaknad av föräldraförsäkring är ett problem och att man ser att kvinnor inom kirurgiska specialiteter väntar med att försöka få barn till efter ST och har då en högre risk för fertilitetsproblematik inklusive missfall. Som ett förslag på lösning promotade man ”Egg freezing for surgical residents program”. Den ökade risken för komplikationer vid assisterad befruktning diskuterades inte.

26 Ortopediskt Magasin 2/2023

Dr James R Ficke, Professor and Director, Orthopaedic Surgery vid John Hopkins betonade också vikten av ett schysst föräldraledighetserbjudande som del i anställningspaketet för att lyckas rekrytera och behålla kvinnor och ”modern men”. Han presenterade ett positivt exempel på hur de jobbat kring detta de senaste åren. Ett ”schysst föräldraledighetserbjudande” innebar två månaders ledighet per barn och tillgång till barnpassning på sjukhusområdet. Tidigare AAOS-presidenten Kristy Weber höll en tankeväckande presentation med titeln ”Creating a Sense of Belonging for Women in Orthopaedics” där hon belyste skillnaden mellan att tillhöra (belong) och att passa in (fit in) på en arbetsplats. Det behövs genomgripande förändring av den sociala kulturen på en arbetsplats för att skapa förutsättningar för minoriteter att känna tillhörighet och inte bara passa in.

WHAT HAPPENS IN VEGAS STAYS IN VEGAS

… är ett uttryck som kanske gläder mången tidigare Vegasresenär beroende på vad vistelsen i den gamla gansterstaden har inneburit. Vi

konstaterade redan förra året i Chicago att det svenska deltagandet kraftigt minskat och den trenden accentuerades ytterligare i år. Utöver styrelsens representanter fann vi endast en handfull andra deltagare från Sverige varav flera var där på industrins bekostnad. Endast två abstract med svensk koppling hittade vi, varav ett var tillbakadraget. Det kan ha varit första gången Sverige var mer representerat på utställarsidan än i det vetenskapliga programmet.

Vid International Presidents Breakfast and World Opinion Forum diskuterades i år framförallt pandemins påverkan på ortopedin ur ett globalt perspektiv. Förvånansvärt mycket var lika oavsett finansieringsform och nivå på sjukvården i stort. Det oroväckande tapp av kompetent sjukvårdpersonal vi har sett de senaste åren i Europa påverkar även mindre bemedlade länder då de duktiga medarbetarna där ser möjligheter att emigrera. Även i detta forum uppmärksammades internationella kvinnodagen och vikten av att lyfta fram kvinnor till ledande positioner för att skapa synliga förebilder för kvinnorna i de yngre leden.

Christian Carrwik Utbildningsansvarig SOF The presidential line and representatives i AAOS samt alla närvarande kvinnliga ordföranden från olika ortopedsamfund.
Ortopediskt Magasin 2/2023 27
Mjukt underlag. Högt symbolvärde när den lite för mjuka och fluffiga heltäckningsmattan var tillbaka i utställningshallen. Robotar och AI var årets trendande ord hos industrin och vi hittade två svenska företag (Sectra och Bonesupport) bland utställarna. Anne Garland Ordförande SOF

Vart är vi på väg?

Vi är förstås på väg till Göteborg, denna pärla på Sveriges västkust med ett starkt ortopediskt arv. Här har den lokala arrangörsgruppen dukat upp ett fantastiskt program för landets alla ortopediska läkare, sjuksköterskor, fysioterapeuter, arbetsterapeuter och vårdadministratörer. Mellan den 28 augusti och den 1 september kommer det att bjudas på ett fullspäckat vetenskapligt program, workshops och kurser. Det kommer att finnas många tillfällen att nätverka med kollegor och andra experter, och möjligheter att uppdatera dina kunskaper och öka din kompetens. Missa inte Ortopediveckan 2023!

28 Ortopediskt Magasin 2/2023 Ortopediveckan 2023

VÄLKOMMEN TILL GÖTEBORG

Göteborg är en stor stad med naturen precis runt hörnet, trevliga invånare och ett välkänt paradis för fisk- och skaldjursälskare. Staden, med sin levande fiskhamn och meriterade krögare, har mycket att erbjuda den gastronomiskt intresserade besökaren. Det finns många fisk- och skaldjursrestauranger att välja mellan. I den historiska restaurangen Fiskekrogen finns havets alla läckerheter samlade under ett och samma tak. På menyn finner man både klassiker och innovativ matlagning. I den pittoreska stadsdelen Haga ligger den avslappnade och uppskattade kvarterskrogen Sjöbaren, med enkla och välsmakande fisk- och skaldjursrätter som varierar efter säsong och tillgång. Den charmiga innergården, omringad av stadsdelens typiska landshövdingehus i trä, är en favorit på sommaren. Om du har vägarna förbi Fiske-

bäcks hamn kan du ta en lunch på Quick Fish food truck, som bland annat erbjuder Bohusburgaren, en egengjord sillburgare gjord på ryggbensfärs.

I Göteborg finns flera underbara takbarer med storslagen utsikt över Avenyn, hamninloppet eller Göteborgs takåsar. Hotellkungen Petter Stordalens hotell vid Stenpiren har såklart en härlig takterrass, TaKeT, där solen skiner längre än på de flesta andra ställen. Här kan du njuta av utsikten över Göta älv och de röda kranarna som minner om en svunnen varvstid. Göteborgs högsta takbar, Above, erbjuder både Miami-vibbar och panoramautsikt. Vid nya Hisingsbrons södra fäste hittar man det stilfulla och imponerande nybygget Platinan med takbaren Above på 14:e våningen. Det är inte bara den högsta i Göteborg, det är också den största och bjuder på en fantastisk panoramautsikt över älven, Gamlestaden, Göteborgs hamn

och det så kallade Läppstiftet. ”Världens största pizzeria”, Moreno Pizza, ligger vid Stigbergstorget i mysiga Majorna i den gamla biografen Kaparen. I ståtliga lokaler erbjuds långbord, pizza, öl i sejdel och en stor takterrass med underbar utsikt över Majorna och Göta älv.

Göteborg är också känt för alla sina mikrobryggerier. Poppels Citybryggeri är världens största ekfatsbaserade pilsnerbryggeri. Här finns ett eget bryggverk, där ölen pumpas från jästank till serveringstank. Restaurangen arbetar med ett cirkulärt tänk där hållbarhet, grönsaker och bröd styr menyn. Sveriges största hantverksbryggeri, Stigbergets Bryggeri, ligger förstås i Göteborg. Bryggeriet har nyligen öppnat restaurangen Shangri-la i sina gamla bryggerilokaler i Majorna. Dryckesmässigt finns det föga förvånande mycket öl, som till exempel det egna ”Shangri-lager”.

MÅNGA MÖJLIGHETER ATT

MÖTAS

Under veckan kommer det att bjudas in till flera sociala aktiviteter och möjligheter att nätverka med kollegor från hela Sverige.

Mötet inleds på tisdagen kl 13.00 i stora kongresshallen med temat ”Vart är vi på väg?” på ett lekfullt och underhållande vis. Vi kommer få ta del av något av det bästa Göteborg har att erbjuda avseende storband; Göteborg Wind Orchestra (GWO). De ackompanjerar danskompaniet Kroppsklubben och leder oss till svar på frågorna vart vi är på väg.

Tisdagen avslutas med en mingelkväll i utställarhallen. Följ med på en trevlig kväll tillsammans med övriga deltagare och utställare. Det kommer att serveras god

mingelmat och dryck, ackompanjerad av skön och lugn bakgrundsmusik. En kväll du inte vill missa!

För alla med lite spring i benen arrangerar vi Ortopedmilen på tisdagen. Vi utlovar en vacker och utmanande bana på stigar och asfalt i centrala Göteborg.

Efter onsdagens presentationer tar postervisning, pub och mingel vid. Kom och träffa alla kollegor och mingla runt bland de fina postrarna. När du bestämt dig så lägger du din röst, och alla som röstar får en extra pubbiljett. Kvällen avslutas med att vi utser årets bästa poster.

På torsdagen är det dags för de traditionsenliga festligheterna på banketten. Som kvällens konferencier leder Pernilla Warberg oss genom en fantastisk middag, prisutdelning och underhållning.

Årets Ortopedmil kommer att utgå från Slottsskogen. Missa inte chansen att uppleva en vacker bana på stigar och asfalt i centrala Göteborg!” Foto: Peter Kvarnström/Göteborg & Co.

Självklart ska vi även slå klackarna i taket på dansgolvet senare på kvällen.

I år är det också dags för ArtOrt igen. Du som är hobbymålare, skulptör eller konstnär på annat sätt och har en konstnärlig ådra får då möjlighet att visa upp dina alster för deltagarna på Ortopediveckan. Konst är som en god måltid. Den må vara bra när man är själv, men den blir ännu bättre när den delas med andra.

Ortopediskt Magasin 2/2023 29

ANMÄL DIG NU!

Missa inte årets evenemang inom ortopedi! Anmälningsavgiften inkluderar bland annat full tillgång till det vetenskapliga programmet, luncher och kaffepauer, Get Together och mingel bland utställarna, liksom dryck vid Posterpuben.

OBS! VANLIG AVGIFT GÄLLER FRAM TILL DEN 14 AUGUSTI, DÄREFTER ÄR DET ONSITE-PRIS.

Gå in på: www.ortopediveckan.se eller skanna QR-koden här intill för att komma till Ortopediveckans webbplats.

FÖLJ OSS PÅ

LÄR KÄNNA VÅRA GÄSTFÖRELÄSARE

Professor Fares Haddad är specialist inom höft- och knäkirurgi på University College Hospitals (UCH) i London. Han är avdelningschef för kirurgiska specialiteter vid UCH och chef för Institute of Sport, Exercise and Health (ISEH) vid University College London. Haddads kliniska arbete och forskningsarbete fokuserar på rekonstruktion av höft och knä, inklusive utveckling av artroskopiska tekniker för att behandla idrottsskador, nya ytor för ledförnyelse och resultatbedömning efter höft, knä- och revideringskirurgi. Han arbetar också med nya strategier för att behandla patienter med knäligamentoch broskskador. Professor Haddad var ansvarig för den muskuloskeletala vården under de olympiska spelen i London 2012 och är redaktör för The Bone & Joint Journal.

Professor Andrew Carr är professor i ortopedi vid Oxford University och tidigare chef på Botnar Institute for Musculoskeletal Sciences, som huserar mer 300 multidisciplinära forskare. Carrs forskning är inriktad mot utveckling och utvärdering av kirurgiska implantat. Tillsammans med John Goodfellow definierade han användandet av Oxford Knee som en partiell knäprotes, vilket har använts på mer än 2 millioner människor runt omkring i världen. Han har publicerat mer än 450 artiklar varav mer än 25 av dem i Lancet och BMJ, och har mer än 40 000 citeringar. Professor Carr har förbättrat infrastrukturen för kliniska prövningar inom ortopedisk kirurgi i Storbritannien genom bland annat användande av placebo och skenkirurgi (sham surgery) i sina studier. Han bidrog även till bildandet av “the Royal College of Surgeons of England Trial Unit” i Oxford 2012. Han har varit en pionjär för att få in patienternas perspektiv i kirurgiska studier.

Marianne Törner är forskare inom arbetsoch miljömedicin och ledde fram till sin pensionering i höstas forskargruppen Säkerhet, organisation och ledarskap vid Institutionen för medicin, Göteborgs universitet. Hennes forskning rör säkerhet i organisationer ur ett organisationspsykologiskt perspektiv. Fokus är särskilt på säkerhetsklimat och säkerhetskultur. Detta studeras i relation till arbetssäkerhet och patientsäkerhet, men även informationssäkerhet och flygrelaterad säkerhet.

Marianne Törner har lett ett omfattande forskningsprojekt om hur den etiska stressen kan minska bland sjuksköterskor. Forskningsprojektet ”Bättre psykisk personalhälsa, patientsäkerhet och effektivitet i vården och mindre personalomsättning bland sjuksköterskor” pågick 2018–2021 och resulterade bland annat i boken ”Hälsobringande sjukvård”. Studien genomfördes i två regioner med sammanlagt sju sjukhus, och över 1700 sjuksköterskor och vårdenhetschefer deltog..

30 Ortopediskt Magasin 2/2023
INSTAGRAM @ortopediveckan2023

KURSER OCH WORKSHOPS

Under Ortopediveckan erbjuds två dissektionskurser på Kirurgiskt anatomiskt träningscentrum på Mölndals sjukhus. Kursen runt handledstrauma leds av överläkare Nikolaos Papadimitriou och kursen runt fottrauma leds av överläkare Anna Rubenson.

Fysioterapeut Annelie Brorsson leder workshopen ”Akuta och kroniska hälsenerupturer – vägen tillbaka”. Optimalt omhändertagande och adekvat utvärdering – vad vet vi idag och hur ska vi bli bättre? I denna workshop fördjupar vi oss i vad som kan och bör ingå i optimal behandling, rehabilitering och utvärdering efter akut och kronisk hälseneruptur både idag och i framtiden. Frågan belyses utifrån ortopedens, biologens, fysioterapeutens, ortopedingenjörens och inte minst patientens perspektiv. Flera praktiska övningar och demonstrationer kommer att lära oss mer om till exempel rörelseanalys som funktionsutvärdering, mätning av senlängd med ultraljud och kliniskt användbara utvärderingsinstrument.

Universitetssjukhusöverläkare Maziar Mohaddes håller workshop runt ”Höftprotes – tips & trix” och Camilla Bergh ”Patellafraktur – enkelt eller svårt?”

Vad är cam, pincer, ischiofemoralt impingement och varför har denna 20-åring med normal röntgen jätteont i höften?

Många tycker höftsmärta är svårt, men efter symposiet ”Höftsmärta hos vuxna –utredning och behandling” blir det lätt och kanske till och med roligt! I denna workshop, som leds av överläkare Mikael Sansone, lär sig deltagarna ett systematiskt sätt att utreda höftsmärta hos vuxna. Vi går igenom anatomi, diagnostik, radiologi, fysioterapi och kirurgiska behandlingar. Praktiska moment inkluderar ultraljudsledd injektion och status. Fallpresentationer med fokus på röntgenbedömning.

I kursen ”Hantering av frakturrelaterade infektioner” ger specialistläkare Claes Olsen en teoretisk genomgång av diagnostik, planering av operation och behandling vid frakturrelaterad infektion. Kursen omfattar teoretisk genomgång samt diskussion av fall där deltagarna aktivt diskuterar olika behandlingsalternativ vid olika tillstånd. Ingen förberedelse krävs. Kursen riktar sig till både ST-läkare och specialistläkare. Under den sista delen av kursen visas hur lokal antibiotika förbereds och administreras, där deltagarna själva får möjlighet att interagera.

HALLÅ DÄR, MAGNUS KARLSSON, ÅRETS KONFERENSGENERAL!

Vem är du?

Jag är ortoped på Sahlgrenska Universitetssjukhuset, med inriktning på trauma. Jag har varit ortoped i 25 år och har hunnit med att syssla med rätt många olika delar av ortopedin. Allt från det dagliga arbetet som ortoped till ledningsfrågor.

Vilket är ditt bästa Ortopediveckanminne?

Jag har rätt många minnen. På de första mötena var det nyhetens behag och upplevelsen att man lärde sig mycket. Jag har inte varit på något möte där jag upplevt att jag inte kommit hem med ny kunskap. Instruktionskurserna tycker jag genom åren har bjudit på många guldkorn. Sedan tycker jag att möjligheten att få träffa andra kollegor är guld värd. Det är svårt att lyfta fram något särskilt minne, men jag tycker att det var väldigt roligt att komma i gång med Ortopediveckan igen förra året efter pandemiavbrottet.

Vad ser du fram emot i år/vad får man inte missa?

Jag tycker att vi har ett bra program i år. Det finns flera bra instruktionskurser och jag tycker definitivt att man ska ta chansen att anmäla sig om man åker. Oavsett vilken inriktning man har inom ortopedin tycker jag att varje dag har någonting att erbjuda. På fredagen är det ofta lite glesare med besökare, men jag tycker att vi har ett bra program även där i år.

Tips till förstagångsbesökare?

Det är det gamla vanliga. Kolla programmet innan. Eftersom vi bara har två och vid vissa tillfällen tre sessioner parallellt kommer det vara lättare att lägga upp sitt program för dagen. Dessutom ska man passa på att uppleva Göteborg när man är här. Det finns mycket även efter mötet!

Ortopediskt Magasin 2/2023 31
Foto: Johanna Ewald St Michaels.

Vill du vara med och utveckla vår kursverksamhet och vår förening?

Svensk Ortopedisk Förening (SOF) är en förening för läkare med intresse för ortopedi. SOF grundades ursprungligen 1944 som Svenska Ortopedförbundet.

SOF:s övergripande mål är att främja och utveckla svensk ortopedi genom att anordna vetenskaplig kommunikation och kunskapsutbyte i alla dess former nationellt och internationellt. Föreningen ingår som medlemsförening i Svenska Läkaresällskapet (SLS) och är specialitetsföreningen för ortopedi inom Sveriges läkarförbund (SLF). Föreningen är i en spännande utvecklingsfas och kommer från hösten 2023 finnas i SLS lokaler i centrala Stockholm.

Nu söker vi en person till vårt kansli som tillsammans med vår nuvarande kanslist Lena Göthe arbetar med frågor som:

Kursadministration av vår växande kursverksamhet med bakjoursskola, ST-skola och digitala självstudiekurser.

Arbetsuppgifter som rör administration av föreningsverksamheten; medlemsservice, administrativt stöd till styrelsen, mötesplanering, bokföring och fakturering, nyhetsbrev och ansvar för föreningens hemsida.

Andra arbetsområden som kan bli aktuella; administrativt stöd till delföreningar, marknadsföring av föreningen och hantering av sociala medier.

Vi söker dig som har:

God erfarenhet av administrativt arbete

Gymnasieexamen

God vana av att arbeta i olika digitala lösningar för administration och ekonomi

• God förmåga att kommunicera i tal och skrift på svenska

Meriterande är kompetens inom något eller några av nedanstående områden:

Kursadministration

Ekonomihantering och bokföring

Arkivhantering Föreningsarbete

Känner du Lenas blivande kollega på kansliet?

Sprid gärna den här annonsen! Vi har även lagt den på startsidan på SOF:s hemsida så att du enkelt kan dela länken: www.ortopedi.se

Du som söker är en person som tycker om att: Arbeta med gott självledarskap och egen drivkraft

• Arbeta tillsammans med andra

• Arbeta med varierande arbetsuppgifter och ha ett öppet sinne för förändringar

• Bygga relationer och kommunicera med andra

Tjänstens omfattning är flexibel men vi ser helst att du är hos oss minst 75%. Du arbetar tillsammans med många personer som är ideellt engagerade vilket gör att delar av din arbetstid kommer att förläggas utanför normal kontorstid.

Tillträde efter överenskommelse.

Urval och intervjuer kommer ske löpande.

Frågor besvaras av ordförande Anne Garland orforande@ortopedi.se eller Lena Göthe på SOFs kansli: sofkansli@ortopedi.se

Varmt välkommen med din ansökan!

SOFs styrelse

SOF-nytt

SOF:s företagsmedlemmar

Anatomica AB

Stora Åvägen 25

436 34 ASKIM

Kontakt: Sverker Stomberg sverker.stomberg@ anatomica.se www.anatomica.se

Arthrex Sverige AB

Textilgatan 43

120 30 STOCKHOLM

Kontakt: Johan Karlsson johan.karlsson@arthrex.se www.arthrex.se

DePuy Synthes

Kolonnvägen 45

170 67 SOLNA

Tfn: 08-626 22 00 info.se@synthes.com www.depuysynthes.com

Episurf Europe AB

Karlavägen 60

114 49 Stockholm

Kontakt: Veronica Scholz Castro nfo@episurf.com www.episurf.com

Heraeus Medical AB

Vasagatan 28

111 20 Stockholm

Kontakt: Eva Norrbin eva.norrbin@heraeus.com www.heraeus-medical.com

Link Sweden AB

Box 180

184 22 AKERSBERGA

Kontakt: Gunilla Eriksson link.sweden@linksweden.se www.linksweden.se

ConMed/Linvatec

Sweden AB

Datavägen 10 D

436 32 ASKIM

Kontakt: Sofia Palomaa, sofiapalomaa@conmed.com www.conmed.com

RSA Biomedical AB

Box 797 907 19 UMEÅ

Kontakt: Per Grundström per.grundstrom@rsabiomedical.se www.rsabiomedical.se

Sectra Orthopaedics AB

Teknikringen 20

583 30 LINKÖPING

Kontakt: Ulrika Vach ulrika.vach@sectra.se www.sectra.com

Smith & Nephew AB

Box 143 431 22 MÖLNDAL

Kontakt: Thomas Weine Tfn: 031-746 58 00 www.smith-nephew.com

Zimmer Biomet Sweden AB

Industrivägen 4

433 61 SÄVEDALEN

Kontakt: Jenny Stokke jenny.stokke@ zimmerbiomet.com www.zimmerbiomet.com

Össur Nordic AB

Box 7080

164 07 Kista

Kontakt: Magnus Lilja mlilja@ossur.com www.ossur.com

Ottobock Scandinavia AB

Box 4041 169 04 Solna

Kontakt: Anett Grusser-Pettersson anett.grusser-pettersson@ ottobock.se www.professionals. ottobock.se

SOF-medlemmar

Nya SOF-medlemmar

Vytautas Merkliopas, Oskarshamn

Alexandra Horvath, Hisings Backa

Alan Saleh, Helsingborg

Lars Löfgren, Falun

Lucas Gauffin, Mora

Frida Appelros, Halmstad

Karin Libeck, Kungälv

Ellen Björheden, Södra Sunderbyn

Oscar Sandberg, Karlskrona

Theres Dyrvén, Örebro

Julie Grunnan, Karlstad

Anna Pettersson, Östersund

Mattias Schaufelberger, Askim

Alfred Harrysson, Kungsbacka

Lovisa Hartwig, Stockholm

Henrik Kjellgren, Eksjö

Amer Al-Ani, Stockholm

Emelie Kristoffersson, Umeå

Johannes Alfredsson, Skövde

Sara Rönnby, Falun

Ana Mwais, Sundsvall

Eyad Alrifai, Skövde

Hampus Ek, Ljungskile

Susanne Larsdotter, Ljungskile

Jon Kleppenes, Torsby

Louise Nygren, Växjö

William Björk, Torsby

Kajsa Ytterberg, Stockholm

Jesper Nygaard, Västervik

Simone Andersson, Västervik

Kamyar Salehi, Skövde

Jovana Brstina, Skövde

Anna Maria Kobierska Holm, Visby

Andreas Rahim, Stockholm

Alexander Stenberg, Stockholm

My Sandberg, Skellefteå

Zewar Al Dabbagh, Vällingby

Ludvig Karlsson, Värnamo

Victoria Örtenwall, Varberg

John Petersen, Luleå

Mustafa Al-Asadi, Örebro

Lovisa Winblad von Walter, Nyköping

Jan Kabath, Eskilstuna

Zaid Mousa, Ystad

Mohamed Ghassan, Åkarp

Mersheya Shithy, Eskilstuna

Karin Sundqvist, Trollhättan

Marcin Jablonski, Umeå

Sebastian Stålnacke, Gällivare

Nils Torle, Borås

Sissi Peng, Gävle

Staffan Ingemarsson, Växjö

Ivan König, Göteborg

Olle Månsson, Uddevalla

Karwan Asinger, Iggesund

Dawood Abdulkarim, Stockholm

Jonte Eriksson, Stockholm

Ioannis Syrikas, Ljungskile

Ulrika Kogler, Varberg

Anna Haas Stjernlöf, Skoghall

Joel Axelsson, Umeå

David Thorell, Eksjö

Ebba Jernbeck, Stockholm

Levi Rollsjö Lindroos, Stockholm

Andrée Romner, Malmö

Olov Christensen, Älta

Johan Co, Malmö

Christoffer Dohrn, Stockholm

Louise Abrahamsson, Eksjö

Tian Cheng, Uppsala

Elin Djuvfelt, Östersund

Lars Larsson, Hudiksvall

Gustav Hall, Västerås

Niklas Barle, Stockholm

André Åström, Stockholm

Jacob Schou, Stockholm

Tobias Stridbeck, Hudiksvall

Rickard Gestblom, Karlstad

Lejla Numanovic, Gävle

Ortopediskt Magasin 2/2023 33

Äntligen är vi igång!

Med över 260 deltagare från hela landet är SOF:s ST-skola en av de största medicinska kurserna i Sverige. Här intill rapporter från de smått historiska två första kurserna som arrangerades i Örebro och Stockholm. Innan året är slut kommer 15(!) delkurser ha genomförts.

Någon liknade arbetet med att starta ST-skolan vid att lägga rälsen medan tåget kör. Behovet är stort och målsättningen har alltid varit att komma igång så snart det är praktiskt möjligt. Vi har löst små frågor (måste alla deltagare ha namnskyltar?) och stora frågor (upphandling av ett nytt administrativt system för kursregistrering) under arbetets gång. Det har inte alltid varit lätt – men viljan hos alla involverade att skapa en så bra utbildning som möjligt för våra framtida specialistkolleger har tagit oss framåt.

SOF:s ordförande Anne Garland drog igång arbetet med ST-skolan under sin tid som utbildningsansvarig i styrelsen men arbetet har engagerat många fler:

• SOF:s delföreningar och associerade föreningar har arbetat hårt med att skapa kurser för att möta efterfrågan. Extra imponerande med tanke på att delföreningarna oftast är små organisationer med en handfull eldsjälar.

ST-skolans rektor Ola Rolfson och prorektor Kajsa Thulin (numera styrelseledamot i SOF) har med stöd av styrelsen arrangerat regelbundna möten, både digitalt och fysiskt för att leda arbetet framåt.

SOF:s kanslist Lena Göthe har fått nya utmanande arbetsuppgifter med hundratals kursplatser som ska bokas, bekräftas och så småningom betalas – allt i ett nytt datasystem.

• Lokala kursarrangörer landet runt som ser till att omsätta fina ord i curriculum och lärandemål till föreläsningar och praktiska övningar.

Målet med ST-skolan är att landets

ST-läkare i ortopedi ska få en bred utbildning av hög kvalitet med kurserna fördelade på ett logiskt sätt under hela ST-utbildningen. Med garanterad plats på ST-skolans delkurser kommer

ST-läkarna inte behöva jaga platser på kurser de behöver gå för att klara kunskapskraven utan kan fokusera på det viktigaste – utbildningen.

ST-skola KNÄ

Diskussionsglada kursare och lika svarsglada kursledare fyller Ejnar Eriksson-salen på ST-skolans kurs om knäledens sjukdomar och tillstånd (förutom frakturer), på Capio Artro Clinic, Sophiahemmet den 3-5 maj.

Kurssamordnaren Karin Hallin och kollegorna Jenny Saving och Anne Almberg Magnusson, som båda föreläser om artros/knäprotes den här dagen är på plats. Den sistnämnda drar ner förtjusta skratt när hon utropar:

– Det här är rolig kirurgi! Det är som att öppna en skattkista. Man ser något stort och bulligt på röntgen; osteofyter och kroppar, och så får man ta fram stora mejslar. Man känner sig som en riktig konstnär!

Stämningen är avslappnad och det ges ständigt möjlighet att fråga och få initierade svar. Karin Hallin berättar att kursarna är väldigt intresserade av att diskutera riktiga patientfall.

– Såna har vi gott om här, säger hon glatt.

Hennes kollega Anders Ståhlman berättar på telefon att han var snabb med att tacka ja till att arrangera knäproteskursen för ST-skolan.

– Vi har stora flöden med 1200 knäproteser, 4500 knäartroskopier och 800 rekonstruktioner av främre korsbandsskada per år. Karin Hallin har dessutom stor erfarenhet av undervisning. 12 av de 18

kollegorna är disputerade, så det var inte mycket att fundera på, säger han.

Att anordna kurs tar mycket tid, något som läggs uppepå allt det andra, men det vägs upp av stoltheten i att få visa upp kliniken.

– När kursdeltagarna sedan är nybakade specialister får vi hoppas att de remitterar sina patienter hit, eller kanske till och med söker jobb här, säger Karin Hallin.

Jenny Saving är väldigt positiv till ST-skolan som hon menar angriper grundproblemet.

– Det är ganska självklart att man vill göra de basala kurserna först och sedan bygga på, men så har det inte sett ut, tills nu. Det här är ett jättebra koncept.

Kursarna Noemi Raman och Anna Karin Svensson, båda Helsingborg, ST år 5 är båda lättade över att allt plötsligt gick så lätt.

– Det är schysst att vi som nästan är färdiga får hänga med på sluttampen och kan ta de sista kurserna. Det har varit en ständig press att få komma med på kurserna tidigare.

De tycker även att föreläsarna har lyckats lägga sig på precis lagom nivå:

– Det är verkligen hög kvalitet på föreläsningarna, det märks att det är kompetenta läkare som verkligen kan sin subspecialitet.

34 Ortopediskt Magasin 2/2023 SOF-nytt
Anne Almberg Magnusson. Jenny Saving och Karin Hallin.

Bland kursarna finns också Ivan Bugera, Sus Malmö, ST år 4, och Andrew Harbut, Kristianstad/Hässleholm, ST år 5.

– Det här är ett klokt system. Nu vet jag alla kurstillfällen som jag är inbokad på från nu fram till vecka 52. ST-skolan håller till och med i kontakten med studierektor på kliniken, som i god tid kan se till att schemat läggs därefter, säger Ivan Bugera.

Och Andrew Harbut berättar skrattande att flera av hans kollegor avundas honom:

– Hemma på kliniken har jag medicinkollegor som också vill ha en ST-skola serverad på det här sättet.

ST-skola HÖFT

Den första kursen i den nya ST-skolan var "Höftproteskirurgi och höftens sjukdomar" i Svenska Höft och Knäföreningens regi. Den kursveckan anordnades av Universitetssjukhuset i Örebro under ledning av Per Wretenberg och Peter Wildeman.

Kursen inkluderade bland annat ämnen som höftproteshistoria, anatomi, radiologiska undersökningar, höftledsartroskopier,

kirurgisk teknik, biomekanik och komplikationer vid höftkirurgi. Dessutom hölls workshops kring cementeringsteknik vid primär höftprotes samt kring de vanligast förekommande komplikationerna. Kursen blev mycket uppskattad, och ämnesföreträdare från hela landet deltog för att ge ST-läkarna en gedigen introduktion till ämnet.

Nästa kursveckor kommer att hållas vecka 38 i Mölndal och därefter vecka 48 i Uppsala. Vi tackar alla engagerade STläkare och föreläsare och ser fram emot nästa kurstillfälle!

Ortopediskt Magasin 2/2023 35
Sköldenberg
Höft-
Knäföreningen
Olof
Ordförande Svenska
och
Andrew Harbut och Ivan Bugera. Noemi Raman och Anna Karin Svensson. Glada kursdeltagare med instruktör Nils Hailer, Akademiska Sjukhuset. Delar av fakulteten, från vänster till höger: Stergios Lazarinis, Peter Wildeman, Nils Hailer, Per Wretenberg, Olof Sköldenberg. Förutom dessa medverkade även Anders Brüggeman, Mikael Sansone och Fredrik Möse. Samtliga deltagare i SOFs första kurs i ST-skolan.

Frågorna från 2023 års

Ortopedexamen

Den 17 mars 2023 skrev ett antal läkare Ortopedexamens skriftliga del. Den består av frågor som testar de allmänna kunskaperna för handläggning av patienter på en allmän ortopedisk klinik. Skulle du klara frågorna?

Testa dig själv och gå sedan in på: www.ortopedisktmagasin.se för att se de rätta svaren. Max 100 p.

FRÅGA

1 (8 p)

72-årig kvinna med EP, gikt och vanföreställningssyndrom. Bor i eget boende, tillsyn av hemtjänst, men sköter sig själv. Går med rullator för balansens skull. Inga proximala ledbesvär. Halkat i samma plan och inkommer akut med förkortat och utåtroterat ben. Cirkulatoriskt stabil. Redig vid inkomst. Inte slagit i huvud. Står inte på blodförtunnande.

Akut röntgen:

A) Patienten opereras inom 24 timmar. Kommentera nedanstående postoperativa röntgenbilder. (2 p)

B) Vad har hänt och varför? (1 p)

Patienten kommer åter efter två månader. Hon har förkortat och utåtroterat ben med smärta vid rörelse.

Inget nytt olycksfall. Tilltagande besvär. Se bilder till höger.

Du bedömer att det finns indikation för ny operation med tanke på patientens besvär.

C) Vad är prognos och risker? Skriv en preoperativ planering för den metod du har tänkt dig. (2 p)

Beskriv kort fördelar och nackdelar med nedanstående operationsmetoder i detta fall:

D. Re-osteosyntes (1 p)

E. Distalt förankrad protes (1 p)

F. Cementerad standardprotes? För- och nackdelar (1 p)

36 Ortopediskt Magasin 2/2022
Ortopedexamen Svaren hittar du på www.ortopedisktmagasin.se

FRÅGA 2 (7 p)

En 61-årig kvinna har remitterats till dig med anledning av högersidig coxartros. Remissen är relativt kortfattad men då du träffar henne på mottagningen framkommer det att hon december 2021 opererats med TUR-B med anledning av urinblåscancer. Hon har efter operationen behandlats med BCG (Bacillus Calmette-Guerin). I övrigt uppger hon sig vara helt frisk både somatiskt och psykiskt och tar inga läkemedel.

A) Vilka ytterligare anamnestiska uppgifter är du intresserad av? (2 p)

Patienten berättar att hon har stora besvär och önskar opereras. Hon berättar vidare att hon har varit oerhört aktiv tidigare, bland annat åkt skidor över Grönland och löptränat regelbundet. Den enda aktiviteten som hon numera kan ägna sig åt är klättring.

B) Innan du fattar ett definitivt beslut vill du komplettera anamnesen med anledning av BCG-behandlingen. Vilka frågor ställer du till patienten avseende detta? (1 p)

Vid din kliniska undersökning har inskränkt flexion (90 grader) och inåtrotation (10 grader) i höftleden.

C) Beskriv de förändringar som du ser på röntgenundersökningen. (1 p)

D) Patienten är intresserad av kirurgisk behandling. Hur resonerar du kring indikation? (1 p)

E) Redogör för val av protes, fixation och artikulation. (1 p)

F) Patienten har en sista fråga. Hon är orolig för att hon inte ska kunna klättra efter höftprotesoperation. Vad svarar du henne? (1 p)

FRÅGA 3 (6 p)

Våren 2021 publicerades för första gången ett nationellt vårdprogram för distalaradiusfrakturer i Sverige. En viktig del av innehållet i vårdprogrammet är riktlinjerna för valet mellan operativ och icke-operativ behandling. I följande sex fall (A-F) av distala radiusfrakturer ska du utifrån rekommendationerna i vårdprogrammet välja mellan operativ och icke-operativ behandling, och motivera det med hjälp av patientfaktorer och röntgenologiska fynd. (6 p)

A) 76-årig kvinna som bor med frisk make i villa. Medicinerar mot högt blodtryck, i övrigt frisk. Sköter sig själv, sysslar med trädgårdsarbete och passar ofta något av sina fem barnbarn.

B) 91-årig änka som bor på ett äldreboende. Tablettbehandlad diabetes mellitus, osteoporos, tidigare opererad för spinal stenos. Kan endast förflytta sig korta sträckor inomhus med rullator.

C) 69-årig pensionerad man som bor i lägenhet. Spelar golf med hustrun året runt; i Sverige på somrarna och i Spanien på vintrarna. Medicinerar med Eliquis för kroniskt förmaksflimmer.

Ortopediskt Magasin 2/2023 37
A B C

Ortopedexamen

D) 61-årig tidigare väsentligen frisk kvinna

som hundfrisör. När du träffar patienten på akuten har din föregående kollega redan utfört sluten reposition och gipsning, och du tittar på post-repositionsbilderna. Den ursprungliga dorsalbockningen (uppe till höger) var 25 grader.

FRÅGA 4 (3 p)

I årets avhandling 2021 noteras en ökad förekomst av mortalitet hos patienter med proximala överarmsfrakturer.

A) Hur stor är riskökningen för 30-dagarsmortalitet för patienter med proximala överarmsfrakturer jämfört med normalpopulationen? (0,5p)

B) Vilka två riskfaktorer hade starkast association med ökad mortalitet hos patienter med överarmfrakturer? (0,5 p)

C) I samma avhandling noteras en förändring gällande operationsmetod hos patienter med proximala överarmsfrakturer under de senaste åren. Redogör för denna förändring (1 p)

D) Hur stor andel av operationer för proximala överarmsfrakturer, registrerade i Frakturregistret utgjordes av en reoperation? (1 p)

FRÅGA

(5 p)

60-årig man. Röker cirka 15 cigaretter per dag. Hypertoni. Snickare. Fallit cirka 2,5 m från byggnadsställning. Inga andra skador än foten. Sluten skada. Bortse från den odislocerade laterala malleolarfrakturen i diskussionen.

A) Beskriv frakturen (1 p)

B) Hur vill handlägga den och varför? Eventuella operationsmetoder behöver endast beskrivas översiktligt. (4 p)

5 E) 33-årig kvinnlig polis. Cyklar ofta mountainbike och styrketränar. Inga mediciner. som arbetar
38 Ortopediskt Magasin 2/2023 D E F
F) 44-årig kvinnlig busschaufför. Dansar bugg. Jägare, har två stora hundar. Inga mediciner. Deltar i en forskningsstudie där man konstaterat att hon har normal benkvalitet.

FRÅGA 6 (7 p)

Denna 32-årige man blev misshandlad med stålrör ett år tidigare. Han behandladesmed orthos. Armen känns nu instabil.

A) Hur lyder den gängse definitionen av non-union? (2 p)

B) Vilka två huvudfaktorer påverkar en frakturs läkning? (2 p)

C) Vad kallas denna typ an non-union och hur behandlas den i detta fall? (3 p)

FRÅGA 7 (6 p)

En 55-årig frisk man söker en tisdag kväll på vägen hem från jobbet till ortopedakuten på grund av att ring- och lillfingrar på båda händerna är bortdomnade och han kan inte riktigt sträcka ut dem. Den gångna helgen cyklade han Vätternrundan på personbästa. Han har aldrig haft några besvär från handen tidigare.

FRÅGA 9 (4 p)

Här följer röntgenbilder och namn på fyra extraben i foten. Svara på nedanstående två frågor i anslutning till varje bild.

1. Vilken sena kan ge besvär i anslutning till respektive accessoriskt ben? (0,5 per ben, totalt 2 p)

2. Ange kort vilka typiska besvär och komplikationer som kan kopplas till respektive extraben. (0,5 p per ben, totalt 2 p)

A) Diagnos? (2 p)

B) Förklara med referens till anatomiska strukturer varför symptomen uppstår? (2 p)

C) Hur vill du utreda och behandla patienten? (2 p)

FRÅGA 8 (6 p)

A) Tibialis posterior-dysfunktion är ett tillstånd med ökande, smärtande pronationställning i bakfoten. Beskriv typisk anamnes och statusfynd vid detta tillstånd. (2 p)

B) Icke operativ behandling består av inlägg, skoöversyn och sjukgymnastik. Vilken instruktion bör skrivas på remiss till ortopedtekniker/ortopedingenjör? Var så specifik du kan. (2 p)

C) I den operativa behandlingen ingår hälosteotomi i majoriteten av fallen. Hur görs det och vad är tanken bakom? (2p)

A) Os peronuem B) Os vesalianum C) Os trigonum
Ortopediskt Magasin 2/2023 39
D) Os tibiale externum

FRÅGA 10 (5 p)

A) Vilken klassifikation används i Sverige oftast för periprostetiska frakturer kring höften? (1 p)

B) Vilken frakturtyp ser du på röntgenbilden? Motivera ditt svar. (1 p)

C) Hur skulle du behandla frakturen ovan? (1 p)

D) Redogör kort för behandling av periprostetiska frakturer ut ifrån frakturtyp. (2 p)

FRÅGA 11 (4 p)

24-årig man inkommer till akuten efter en motocross-olycka. Genomgått ATLS-omhändertagande och trauma-DT när du som primär ortopedjour blir tillkallad. Rapporten du får är att patienten har ytliga skrapsår lateralt på axeln, hematom motsvarande området för klavikeln, smärta i handleden samt bortfallen abduktionsförmåga i fingrarna, oförmåga att extendera tummen, sensoriskt bortfall motsvarande n. ulnaris utbredningsområde i handen samt domning medialt på underarmen. Det finns också en tvärgående sårskada dorsalt över handryggen. Inga tecken till senskada vid klinisk undersökning. Cirkulation perifert u.a.

När du granskar CT:n finner du stabila kotfrakturer Th12-L2 och en mittdiafysär klavikelfraktur på samma sida. Klavikelfrakturen är omlottställd med tvärställt intermediärfragment och förkortning.

A) Vad gör du på akuten med denna patient? (2 p)

B) Varför tror du patienten har motoriskt och sensoriskt bortfall i handen? (0,5 )

C) Beskriv din plan för fortsatt omhändertagande av patientens högra arm och motivera varför! (1,5 p)

FRÅGA 12 (5 p)

En 18-årig flicka söker på akutmottagning efter ha vridit sitt högra knä under fotbollsmatch tidigare på dagen. Hon har kraftiga smärtor och en sträckdefekt på ca 20 grader, uttalad hydrops och hon är svår att undersöka. Knät är svullet.

A) Ange minst tre differentialdiagnoser. (3 p)

B) Vilka åtgärder kan vara lämpliga vid akutbesöket? (1 p)

C) Hur följer du upp denna typ av skada? (1 p)

FRÅGA 13 (4 p)

En 52-årig man som själv kallar sig professionell skidåkare kommer till mottagningen efter att 4 veckor tidigare skadat sitt högra knä i alperna. MR visar isolerad främre korsbandsskada. Status idag full ROM, Lachman 2-3 + och Pivot shift svår att bedöma.

A) Vilken vidare behandling rekommenderar du? (1 p)

B) Hur är patientnöjdheten på korsbandsopererade patienter över 40 år respektive för dem som behandlats med fysioterapi? (1 p)

C) Vilka indikationer/kontraindikationer kan du tänka dig för en eventuell korsbandsoperation för denna patient? (2 p)

FRÅGA

14 (2 p)

En 65-årig man utan anamnes på knäsmärtor vred sitt knä tre månader tidigare. MRT visar en medial meniskskada utan artros. Han har dagliga smärtor och kan inte löpträna.

A) Vilken behandling rekommenderar du? (1 p)

B) I vilka fall kan du tänka dig en artroskopisk åtgärd? (1 p)

FRÅGA 15 (3 p)

På akutmottagningen träffar du en 64-årig kvinna som söker på grund av gångsvårigheter ”sedan helgen” och smärta i bröstryggen sedan tre månader. Inget trauma. Hon avslutade sin behandling mot bröstcancer för tio år sedan.

A) Vad får man för symtom av nervrotspåverkan i bröstryggsnivå? (0,5p)

B) Vad kallas ryggmärgspåverkan med ett annat namn? (0,5p)

C) Vilka symtom ger ryggmärgspåverkan i bröstryggsnivå om trycket på ryggmärgen kommer från kotkroppen, alltså framifrån? (1 p)

D) Varför sätter sig ryggmetastaser oftast i bröstryggen? (0,5p)

E) Vilken radiologisk utredning beställer du? (0,5 p)

FRÅGA 16 (3 p)

A) Vilken är den moderna benämningen på Bechterews sjukdom? (1 p)

B) Ge exempel på en kortsiktig och en mer långsiktig komplikation vid ryggfrakturer vid denna sjukdom. (1 p)

C) Varför ska du alltid beställa datortomografi av hela ryggen vid trauma hos en patient med sjukdomen som diskuteras ovan? (1p)

FRÅGA 17 (2 p)

A) Beskriv en händelseanalys och varför gör man det? (0,5 p)

B) Vad kännetecknar ett välfungerande patientsäkerhetsarbete? (1,5 p)

Ortopedexamen 40 Ortopediskt Magasin 2/2023

FRÅGA 18 (3 p)

Beskriv syftet med ”Checklista för säker kirurgi 2.0" och redogör översiktligt för innehållet i checklistans tre delar. (3 p)

FRÅGA 19 (4 p)

Nioårig flicka som söker med tre dagars anamnes på tilltagande svår smärta i vänster fotled. Inget trauma. Opåverkat allmäntillstånd. Lokal ömhet.

A) Diagnos? (1p)

B) Behandling? (3 p)

FRÅGA 20 (2 p)

Femårig pojke som söker på grund av belastningssmärta i mellanfoten, sedan tre månader. Inget trauma. (2 p)

A) Diagnos?

B) Behandling?

C) Prognos?

FRÅGA 21 (2 p)

En 62-årig, tidigare frisk, man med tilltagande smärta i vänster underben söker dig på akuten då han inte kan kliva in i lastbilen på jobbet längre. Han förnekar trauma.

A) Varför har patienten ont? Beskriv fyndet. (0,5 p)

B) Krävs vidare utredning innan du beslutar om behandling? I så fall varför och vilken? (1,5 p)

FRÅGA 22 4 p)

En 85-årig kvinna söker med en knöl på armen som hon noterat de senaste 4-5 veckorna. Den gör inte ont men hon undrar vad det är. Hon har hypertoni, hypothyreos, en del ångest och börjar få problem med minnet.

A) Vad är viktigt i lokalstatus avseende malignitetsmisstanke? (1 p)

B) Hur utreder man lämpligast knölen? (1 p)

C) Vilka är kriterierna för att aktivera en sådan utredning? (2 p)

FRÅGA 23 (4 p)

Många patienter som planeras för operation står eller har stått nyligen på glukokortikoider. Majoriteten av ortopediska patienter står på preparatet i immunomodulerande syfte men en del på grund av underliggande sjukom (i binjure eller hypofys/ hypotalamus). Vid långvarig behandling kan den egna glukokortikoidproduktionen undertryckas och det finns en risk att patienten i samband med akut stress drabbas av glukokortikoidbrist.

A) Vilka symtom kan akut glukokortikoidbrist/binjurebarkssvikt ge? Ange minst fyra. (2 p)

B) För vilka patienter bör endokrinolog alltid rådfrågas inför operation? (1 p)

C) För de patienter som inte behöver handläggas tillsammans med endokrinolog: Vid hur hög ordinarie dos Predisolon/dygn (eller motsvarande dos av annat glukokortikoidpreparat) bör substitution övervägas och ordineras enligt lokal rutin? (1 p)

FRÅGA 24 (1 p)

Vilket påstående är korrekt avseende personer 18-60 år med höftfraktur? ( 1p)

1. Höftfraktur är vanligare hos kvinnor än män i denna ålder.

2. Vid högenergiskada måste patienten opereras inom 6 timmar.

3. En majoritet av dessa personer har låg bentäthet vid DEXA-mätning.

4. Missbruk är den klart vanligaste orsaken till höftfraktur i denna ålder.

Ortopediskt Magasin 2/2023 41

Doktorns råd om vård

av Per Wretenberg

Du har kanske en lätt hypokondrisk svärmor som gärna vill konsultera dig om sina krämpor eller kanske känner någon som enligt din mening uppsöker akuten lite för ofta, eller kanske bara någon som allmänt klagar på vården när ni ses. Då kan denna bok vara en fin present. Man kan också ge den till sig själv och få en bättre förståelse för hur allt runt omkring oss är tänkt att fungera.

Per Wretenberg är professor i ortopedi i Örebro, främst med inriktning mot proteskirurgi men han besitter också ett allmänt kunnande om vårdens organisation. Även den som tror sig veta allt om hur det fungerar med vårdgaranti, valfrihet och utlandsvård kan lära sig något från ”Doktorns råd om vård”.

Man skulle kunna rekommendera 1177 att skicka ut boken till hela befolkningen –där skulle troligen samhället tjäna en hacka skattemedel trots höga portokostnader.

Per Wretenberg skriver direkt till läsaren om allt man behöver veta om vårdens krumbukter. Vilken instans som har hand

om vad och vart man har rätt att vända sig. Han använder enkla exempel på situationer som han hämtat ur sin egen rika kliniska erfarenhet.

Boken är inte bara ett rättesnöre för patienter och anhöriga, den tar också upp känsliga saker som när det går fel i vården. Han väjer inte heller för massmediala händelser som Skövdes Ilizarow-behandlingar och Stefans Sauks ytersättningsproteser. Boken förklarar också hur patientförsäkringen fungerar och hur och var man framför sina klagomål.

Även rent medicinskt finns kloka råd. När ska man söka vård och var. Ett handfast råd är att skaffa sig en fast distrikts-

läkare som kan hålla i alla trådar och att inte leta efter sjukdomar om man är ung och frisk. Däremot kan en hälsokontroll när man nått medelåldern vara av värde liksom råd om livsstilsförändringar.

Boken är uppdelad i korta kapitel och väldigt lättläst. Varje kapitel avslutas med en kort sammanfattning. Så om svärmor inte orkar läsa hela boken så kan hon få några kortfattade goda råd på mindre än fem minuter. Förhoppningsvis kan du denna sommar få färre telefonsamtal från dina oroliga släktingar.

Åre Hälsocentral inom Region Jämtland Härjedalen efterlyser nu en specialistläkare inom ortopedi för att utöka sitt ortopediska team!

Vi söker dig som är driven, ser lösningar, vill bidra med din kunskap och utveckla vår hälsocentral tillsammans med oss. Hos oss får du en varierande vardag med kompetenta, drivna och härliga kollegor.

Vi har alltid fokus på patientens bästa och jobbar utifrån det mottot! Du får även tillgång till ett fantastiskt naturområde som kan tillföra något extra i vardagen.

Vad väntar du på? In och läs vår annons på www.regionjh.se. Annonsen hittar du via jobb & utbildning och jobba hos oss.

För frågor kontakta enhetschef Kristian Höijd, knut-kristian.hoijd@regionjh.se

42 Ortopediskt Magasin 2/2023
Foto: Niclas Vestefjell, Åre destination AB. Karin Bernhoff Huvudredaktör Ortopediskt Magasin
BOKRECENSION

Riksfot – vårt

svenska

kvalitetsregister

för fot-och fotledskirurgi

Fot-och fotledskirurgi innefattar en omfattande klinisk verksamhet med allt från små enkla ingrepp till stora komplexa rekonstruktioner. I Sverige utförs fot-och fotledskirurgi i såväl offentlig som privat vård, men den regionala fördelningen är ojämn. Vissa regioner saknar kompetens för att utföra den komplexa kirurgin, där ett team med fot-och fotledskirurger, anestesiologer, gipstekniker, specialintresserade fysioterapeuter och sköterskor är nödvändiga för ett bra resultat.

Bristfällig evidens föreligger för ett flertal operationsmetoder som används inom fot- och fotledskirurgin, vilket gör att behovet av ett nationellt kvalitetsregister är stort. Jämförande studier är svåra att genomföra så registerdata kan ge stor mängd värdefull information på kort tid. 2012 påbörjades arbetet och under en uppbyggnadsfas mellan 2012–2016 gick Riksfot från idé till ett etablerat kvalitets register. Med hjälp av registret samlas information om behandlingsresultat vid kirurgi i fot och fotled, eventuella skillnader över landet, mellan kön och mellan ålders grupper och registret kan på detta sätt bidra till ökad kunskap nationellt och även internationellt. Riksfot är unikt i världen, dvs det finns inget annat register som registrerar både operatörs och patientrap porterade data för en så stor mängd olika diagnoser i fot/fotled (figur 1).

Målsättningen är att med information så att bästa möjliga behandling kan väljas för den enskilda patienten. Varje klinik kan använda sina resultat för jämförelser med andra klini ker och med riksgenomsnittet. Data för knappt 40 000 operationer har samlats och kan användas till forskning och lokalt förbättringsarbete och antalet reg istreringar är redan nu för flera diagnoser mycket större än det antal som ingår i befintliga vetenskapliga publikationer. Sex vetenskapliga arbeten är publicerade, och flera arbeten inklusive en avhandling med data ur registret, är under produktion.

Antalet anslutna enheter har stadigt ökat och april 2023 fanns det 73 anslutna enheter spridda över landet. Alla regioner förutom Värmland finns nu representerade (figur 2). Drygt 6000 operationer registreras per år, vilket är knappt hälften av förväntad registrering nationellt.

Täckningsgraden för registrering operationer är fortfarande för låg för att registret ska kunna betraktas som ett fullvärdigt nationellt kvalitetsregis ter. Orsaken till detta är att flera stora

Ortopediskt Magasin 2/2023 43 10 Maria Cöster Överläkare Akademiska sjukhuset Uppsala Capio Movement Halmstad Docent och Registerhållare Riksfot
Figur 1. Diagnoser som registreras i Riksfot, kvalitetsregistret för fot-och fotledskirurgi. Figur 2. Anslutna enheter i Riksfot fördelat över regioner. Figur 2. Anslutna enheter i Riksfot fördelat över regioner. Figur 1. Diagnoser som registreras i Riksfot, kvalitetsregistret för fot-och fotledskirurgi Figur 2. Anslutna enheter i Riksfot fördelat över regioner.

Pelles säkerhetshörna

Ljus ses i horisonten

Svensk sjukvård har de senaste åren i allt ökad omfattning kritiserats för olika sorters problem, vilka de flesta angetts riskera försämra patientsäkerheten. Att det finns problem att lösa är ingen nyhet. Men hur är det med patientsäkerheten – har den försämrats?

Trots alla angivna problem fortsätter svensk sjukvårds resultat att vara bland världens bästa. The Lancet Commission on Global Health´s senaste rapport från 2022 redovisar det så kallade HAQ index (Healthcare Access and Quality index) för 195 länder.1Indexet baseras på drygt 40 indikatorer som alla belyser ett lands förmåga att skapa hälsa för sina invånare, och ger en bra bild av vad ett lands sjukvårdssystem förmår. Sverige uppnår 90,4 av 100 möjliga, och har bara Island (93,1), Schweiz (92,6), Nederländerna (91,1) och Kanada (90,7) före sig. Självklart kan, och ska, siffran förbättras, men i jämförelse med exempelvis Storbritannien (83,3), USA (80,6) och Tyskland (87,0) ligger Sverige bra till.

I Socialstyrelsens årliga rapport framgår att sjukvårdsrelaterad åtgärdbar dödlighet visar en minskning från 59 till 49 personer per 100 000 invånare 2013 – 2021. Andelen som lever 5 år efter en cancerdiagnos har de 10 senaste åren ökat från 54,6% till 62,8%.2

De senaste åren har också gett oss pålitliga data som visar att undvikbara skador sjunker undan. SKR publicerar årligen ett antal rapporter baserade på så kallad markörbaserad journalgranskning. Metoden går ut på att slumpvis utvalda vårdtillfällen, eller för psykiatri vårdepisoder innefattande både öppen och sluten vård, granskas efter markörer för en möjlig skada. Om en markör faller ut granskas journalen i sin helhet, innefattande ett ställningstagande till om skadan var undvikbar, sannolikt undvikbar, sannolikt inte undvikbar eller inte undvikbar.

MJG för somatisk vård 2013–2021 visar på sammantaget sjunkande frekvens undvikbara skador, särskilt inom VRI och skadetypen svikt i vitala funktioner.3 2013 förelåg en undvikbar skada i 8,7%

av alla granskade vårdtillfällen, denna siffra var 6,3% 2021. Minskningen från 8,7% till 6,3% kan tyckas beskedlig, men innebär att cirka 30 000 patienter årligen, eller annorlunda uttryckt drygt 80 personer dagligen, inte skadas. Minskningen är särskilt tydlig för vårdrelaterad infektion och svikt i vitala funktioner, områden där stora insatser har gjorts. MJG för psykiatrisk vård visar på en nästan halvering av undvikbara skador från 2017 till 2021.4 Här har man även studerat ett antal kvalitetsbristindikatorer, och förekomsten av dessa har under samma tid sjunkit undan rejält.

Självklart kan det inte bevisas, vare sig vad gäller somatisk vård eller psykiatrisk vård, att de gjorda insatserna är de som har gett resultaten, men slutsatsen stöds dels av det tidsmässiga sambandet, dels av att någon minskning inte ses inom de typer av undvikbara skador där inga eller svaga insatser gjorts.

Antalet anmälningar till Löf (regionernas ömsesidiga försäkringsbolag) har i det närmaste dubblerats sedan 2010, för att under 2022 nå 20 472 anmälningar.5 Detta kan självfallet tolkas att spegla en ökad förekomst av skador. Det finns dock andra tolkningar. Sedan 2015 har antalet anmälningar inte ökat i förhållande till befolkningsmängd eller mängden utförd sjukvård, inte heller antal ersatta skador per vårdkontakt. Andelen skador som ersätts med hög medicinsk invaliditetsgrad minskar.

Ortopedi är fortsatt den specialitet som står för flest anmälningar och den största summan utbetalda ersättningar, men inom flera områden inom ortopedi ses både sjunkande frekvenser ersatta skador, sjunkande grad av invaliditet efter skadan, och sjunkande utbetalningar, alla satta i relation till mängden utförd sjukvård. Exempelvis behöver Löf betala ut mindre pengar idag för ledprotesrelaterad infektion i höft och knä än vad som gjordes 2010, detta trots att antalet operationer ökat från 29 000 operationer år 2010 till 35 900 år 2019. Detta förklaras av färre inträffade infektioner och en lägre grad av invaliditet efter infektionen.

Det finns andra tecken på en ökad patientsäkerhet. Mognaden i det vi arbetar med ökar; fler och fler operationer genomförs där checklistan för säker kirurgi använts, och fler och fler behandlingar

och operationer genomförs där risker för negativa utfall både har identifierats och reducerats.

Sammantaget finns flera skäl att glädja sig över utvecklingen avseende undvikbara skador. Finns då inga moln vid horisonten? Jo, självklart. Om sjukvård inte fortsatt lyckas rekrytera och behålla rätt sorts personer spelar inga vårdprogram eller checklistor någon roll. Om patienter inte kan komma till sjukvård när den behövs spelar kvaliteten ingen större roll. Men det finns en annan risk – om vi faktiskt blir så dåliga i svensk sjukvård som vi säger att vi är, då finns skäl att på allvar undersöka möjligheten att emigrera …

REFERENSER

1. The Lancet Commission on Global Health 2022. Lancet Glob Health 2022; 10: e1715–43 Published Online October 6, 2022 https://doi.org/10.1016/ S2214-109X(22)00429-6

2. Socialstyrelsen. Tillståndet och utvecklingen inom hälso- och sjukvård och tandvård. Lägesrapport 2023. Socialstyrelsen 2023. ISBN 978-917555-602-4. Artikelnummer 2023-38446. https://www.socialstyrelsen.se/ globalassets/sharepoint-dokument/ artikelkatalog/ovrigt/2023-3-8446.pdf

3. SKR. Skador i somatisk vård 2013 – 2021 på nationell nivå. https://skr. se/skr/tjanster/rapporterochskrifter/ publikationer/skadorisomatiskvard20132021nationellniva.68672.html

4. SKR. Skador inom psykiatrisk vård 2021. https://skr.se/skr/tjanster/rapporterochskrifter/publikationer/skadorinompsykiatriskvard2021.68670.html

5. Löf. Skadestatistik från Löf 2022. https://lof.se/filer/Skadestatistik-franLof-2022-Hela-Sverige.pdf

44 Ortopediskt Magasin 2/2023

Knee Replacement Academy

2021-2023

Knee Replacement Academy är en kurs som vänder sig främst till specialister med erfarenhet av knäproteskirurgi som vill fördjupa sin kunskap inom proteskirugin och även börjat utföra knärevisioner. Sedan starten 2015 har fyra kursomgångar genomförts och 60 deltagare utbildats. På grund av pandemin blev det ett längre uppehåll i kursverksamheten men nu är den igång igen!

Utbildningen består av 3 delkurser, vi hade delkurserna 1-2 i Stockholm. Vid första kurstillfället på 2 dagar diskuterades preop-

erativa förberedelser, olika tekniker för unilaterala och totala knäproteser samt indikationer och teknik för patello-femorala proteser. Under andra kurstillfället diskuterades relativa och absoluta revisionsindikationer, kirurgisk friläggning och teknik, samt fördelar och nackdelar med olika protessystem.

På varje delkurs presenterar deltagarna intressanta/komplexa patientfall från sina respektive kliniker. Kursen bygger på interaktion och denna uppgift är obligatorisk och mycket givande. Det tredje kurstillfället nu i januari 2023 hölls i Hamburg med praktisk träning av operationsteknik på ett kadaverlaborato-

rium. Utvärderingen av kursen visade att kursdeltagarna var mycket nöjda med alla tre kursmomenten.

Vi tackar DePuy Synthes och överläkare Jan Viklund för ett utmärkt samarbete och alla deltagare för ert engagemang. Knee Replacement Academy startar med ny kursomgång hösten 2023.

Margareta Hedström Professor, Överläkare

Rüdiger Weiss, Docent, Överläkare Båda Karolinska sjukhuset

Xtra Torsion. Xtra Shock.

The AllPro XTS combines the AllPro performance you have come to expect with an even smoother rollover and forgiveness on rough terrain or around town. The XTS unit provides adjustable torsion and vertical shock reduction without sacrificing build height.

© 2022 Fillauer LLC Ortopediskt Magasin Nr1_Fillauer_AllProXTS.indd 1 2023-02-15 08:51:13

Hej!

Idag när jag skriver är det 20 grader varmt och sol från en molnfri himmel. Då längtar jag efter semester och en tid utan måsten. Men det finns lite jobb att göra innan dess så jag skickar en tanke till alla som jobbar i klinisk miljö för jag vet att de kommande månaderna är några av de mest krävande på hela året. Alla vill gärna ha nya hjälpmedel innan sommaren!

Den 25 april höll SOIF sitt årsmöte där vi tackade av två medlemmar, Jesper Karlsson (Vice ordförande) och Lisa Nilsson (Studentrepresentant), stort tack för er medverkan i styrelsen. Samt välkomnade vi två nya medlemmar till styrelsen vilka är Per Källvant (Vice ordförande) och Molly Gustafsson (Studentrepresentant). Jag ser fram emot att få arbeta med er under kommande år.

På årsmötet diskuterades bland annat de två motioner som skickats in från enskilda medlemmar:

Motion ett berör problematiken att det finns för få ortopedingenjörer, arbetsvillkor, flykten från branschen samt lönerna. Efter en längre diskussion beslutades det att tillsätta en arbetsgrupp som består av medlemmar i SOIF och två styrelserepresentanter för att djupdyka i dessa frågeställningar.

Motion två berör avsaknaden av SOIFs konferenser och vikten av bra fortbildning som deltagare upplevt att de fått med sig från dessa konferenser. Utfallet av denna motion ledde till att vi tillsätter en arbetsgrupp som består av medlemmar i SOIF, SOIFs styrelse samt en representant från ortopedingenjörsutbildningen.

Jag vill även påminna om branschdagarna som byter namn till Ortopedteknik 2023 och kommer att gå av stapeln den 11–12 september 2023 i Stockholm. Vi efterlyser intressanta föreläsare så återkom gärna om du har några förslag på info@soif.se.

Vill avsluta med att önska er alla en trevlig sommar!

Soliga hälsningar!

ISPO världskongress i Guadalajara

Vibeke Musoke-Muwanga

Ordförande i SOIF

Nyligen avslutades International Society of Prosthetics and Orthotics sin 19:de världskongress i Guadalajara i México. Den tvärfackligakonferensen var välbesökt med tanke på världsläget med nyligen avslutad pandemi, nedgång i världsekonomin samt det rådande säkerhetsläget i México och inte minst situation vid gränsen mellan México och USA. En del av gästerna som planerade att komma på konferensen fick ställa in sin medverkan på grund av att transitvisa inte kunde utfärdas i vissa länder.

Konferensen inleddes med ett välkomsttal av avgående ordförande Claude Tardif samt ordförande för den lokala arrangören Marlo Ortis (Bild 1). Mötet arrangerades av México, USA och Canada. Därefter följde en imponerande uppvisning i mexikansk musik och danskultur.

Huvudtalare denna dag var Rosielena Jované från Panama, samt protesanvändaren Ana Paulina Chavira från México som numera är känd tv-personlighet. Två starka personligheter som driver på utvecklingen i framför allt Centralamerika. Programmet under de följande fyra dagarna innehöll som vanligt stora variationer av presentationer. Syftet med att lägga en världskongress i denna del av världen är också att sammanlänka den ekonomiskt rikare med den mindre ekonomiskt bemedlade delen av världen.

De nordiska länderna, och då framför allt Sverige, ligger ännu en gång i framkant gällande inslag på ISPO-konferensen. Ett lysande exempel på det var vinsten av Forscheimer-priset som ges till den bästa artikel som utges av tidskriften P&O International, utgiven i perioden mellan konferenserna (2021–2023). Priset gick till forskarna Alexander Kuhlmann, Kerstin Hagberg, Ilka Kamrad, Nerrolyn Ramstrand, Susanne Seidinger, Hans Berg för artikeln: The Kenevo microprocessor-controlled prosthetic knee compared with non–microprocessor-controlled knees in individuals older than 65 years in Sweden: A cost-effectiveness and budget-impact analysis. På plats mottogs den av Professor Nerrolyn Ramstrand och Docent Kerstin Hagberg (Bild 2). Ort.ing Stefan Sanfridsson blev också prisbelönad för bästa poster (Bild 4) som innehöll resultat baserade på SwedAmps världsunika data.

SOIF-nytt 46 Ortopediskt Magasin 2/2023
Bild 1. Från vänster nästkommande ordförande i ISPO Sandra Ramidal från Kanada, i mitten nytillträde ordförande David Constantine (UK), samt avgående ordföranden Claude Tardif (Frankrike).

Andra inslag med svenska föredragshållare var:

• Dr. i ort.tekn. Anton Johannesson deltog i ett symposium om Situationen i Ukraina (Bild 3) samt om Gränssnittet mellan proteshylsan och huden (s.k. Mecanobiology).

Ordförande i ISPO Sverige, Dr. i ort.tekn. David Rusaw, också aktiv med två symposier, ett om Gång och Balans samt kurs gällande Sittande och rullstolar.

• Professor i Ortopedteknik Nerrolyn Ramstrand medverkade med tre föredrag om Protesanvändares upplevelse av vardagen därav ett om Upplevelse av att bli benamputerad i Kambodja, samt om Användning av Kansei teknik vid produktdesign. Därutöver presenterade Nerrolyn en av de största studierna som finns om Kundnöjdhet hos dem som använder proteser eller ortoser.

• Dr i Fys.ter. Saffran Möller från Jönköping deltog i symposium om Gång och Balans samt föredrag om Kognitiv påverkan vid protesanvändning.

Dr i Fys.ter. Roland Zügner höll föredrag om Klinisk gånganalys jämfört med daglig aktivitets data.

• Docent Kerstin Hagberg från Göteborg höll sig som vanligt långt framme med kurs om Resultat och erfarenheter av Osseointegration i världen, samt Aktivitetsstudier på lår och knäex. amputerade.

Professor Max Ortiz-Catalan och hans team från Göteborg med föredrag om Simulation och teori på nedre extremiteter.

Övriga skandinavien bidrog även till konferensprogrammet. I Norge verksamma ortopedingenjörerna Pia Noalstedt och Rune Nilsen deltog med föredrag om Utbildningsinsatser i Kambodja och Tanzania. Från Island presenterades två föredrag av Jóna Valgerður Kristjánsdóttir och Margrét Sól Ragnarsdóttir gällande Ny hylsteknik som ska minska påverkan av fukt mellan liner och huden där man kombinerar funktionen i proteshylsa med speciell liner.

Några företag från Skandinavien deltog. Framförallt guldsponsorn Össur från Island, Allard International från Sverige och ett nytt danskt företag Create It Real A/S som specialiserat sig i 3D-printing av sittunderlag till rullstolar.

Konferensen avslutades med en flaggceremoni där uppdraget överlämnades till ordförande för

ISPO Sverige, David Rusaw. När flaggan ska hissas nästa gång blir det i Stockholm och för första gången i Skandinavien, då den 20:de världskongressen ska gå av stapeln 2025. Mötet 2025 kommer arrangeras genom ett samarbete mellan ISPO Sverige, Nederländerna, UK och Norge. Det ser vi mycket fram emot!

Ortopediskt Magasin 2/2023 47
Stefan Sanfridsson Ortopedingenjör TeamOlmed, Motala Bild 5. Flaggöverlämnandet tas emot med glädje av Ordföranden för ISPO-Sverige David Rusaw. Anton Johannesson CPO. Ph.D Össur EMEA Global Össur Sweden Bild 2. David Boone redaktör för Prosthetics and Orthotics International, Docent Kerstin Hagberg från Göteborg och Professor Nerrolyn Ramstrand mottar Forscheimer priset för bästa artikel. Bild 4. Ortopedingenjör Stefan Sanfridsson med sin prisbelönade SwedAmp poster. Bild 3. Medverkande på symposium om situationen i Ukraina: fr.v. Anton Johannesson, Claude Tardif, Jon Batzdorff, Antonina Kumka, samt hela vägen från Ukraina ortopedingenjören Oksana Lytvynenko.

Ur: Acta Orthopaedica

Nyttan med patientrapporterat utfall från kvalitetsregister

Sedan 1970-talet då protesregistren utvecklades i Sverige har mängden register ökat dramatiskt och i Sverige finns idag 13 ortopediska kvalitetsregister.

En numera självklar del i registren utgörs av PROMs (patient-reported outcome measures), där patientens egen upplevelse av smärta, funktion och livskvalitet mäts. Flertalet ortopediska register använder EQ5D-3L, ett generiskt PROM för att mäta hälsorelaterad livskvalitet. Fördelen med ett generiskt PROM är att olika diagnoser kan jämföras, vilket kan ha betydelse när resurserna är otillräckliga och vi behöver prioritera hårdare.

EQ5D består av frågor representerande 5 dimensioner (rörlighet, självständighet, aktiviteter, smärta/besvär, oro/nedstämdhet) som ställs samman till ett index, men kan också beskrivas som antal och procent av patienter som rapporterar inga problem (nivå 1), vissa problem (nivå 2) eller svåra problem (nivå 3) på varje fråga. EQ-VAS redovisas separat.

Syftet med vår studie var att jämföra patientrapporterat utfall inför och ett år efter kirurgi i 5 ortopediska register och analysera bortfallet.

EQ5D data samlades in från Swespine, svenska höftprotesregistret (SHR), svenska knäprotesregistret (SKAR), Swedankle och Swefoot avseende patienter som opererats 2014–2018 i södra Sverige. Inkluderade patienter var opererade pga. degenerativa sjukdomar i rygg eller nedre extremiteten med diagnoserna; spinal stenos, primär höft, knä respektive fotledsartros och bakfotsdiagnoser (artros, plattfot och kavovarus).

Vi erhöll data från 23 344 patienter av vilka 17 648 (78%) hade fullständiga data på EQ5D-index och VAS pre och 1 år postoperativt (studiepopulationen). Medelåldern sträckte sig från 63–69 år, medelvärdet för BMI 27–29 kg/m2 och merparten var kvinnor förutom i Swefoot och Swedankle.

Flest antal patienter var registrerade i SHR och minst antal i Swefoot. Bortfallet var minst i SHR (12%) och störst i Swefoot (68%). I bortfallsgruppen var åldern något lägre. BMI, EQ5D var liknande i båda grupperna och könsfördelningen var likvärdig.

Preoperativt rapporterade patienterna i samtliga register ett lågt värde i EQ5D-

*Swedish Hip Arthroplasty Register **Swedish Knee Arthroplasty Register

Tabell: EQ5D-index före (preop) och 1 år efter kirurgi (postop) och förändringen från före till 1 år efter kirurgi (∆) i studie populationen1. Data presenteras som medelvärden med 95% konfidensintervall (CI). EQ5D index före kirurgi presenteras också för alla patienter. I studien använde vi EQ5D-3L, dvs versionen med 3 svarsalternativ för varje dimension.

FAKTA

1 Patients with complete EQ-5D and EQ-5D VAS data pre- and 12 months postoperatively index (<0.5) dvs mycket nedsatt livskvalitet. Vid uppföljningen efter 1 år uppvisade samtliga register en kliniskt relevant förbättring med största förbättringen i SHR. En större förbättring rapporterades av patienterna i Swefoot och Swedankle jämfört med Swespine och SKAR. Störst förbättringen i EQ-VAS fann vi i Swespine och minst i SKAR. När vi analyserade data på enskild frågenivå angav 98–100% av patienterna smärta/besvär på nivå 2–3 vilket sjönk till 50–80% 1 år efter operationen. Vid utvärdering av procentuell förbättring rangordnades självständighet och aktiviteter högst och således högre än dimensionen smärta/besvär.

Bortfall är ett problem för samtliga register, men små och nyare register med mindre resurser har ett större bortfall. För att kunna öka svarsfrekvensen och bättre kunna lita på data behövs förändringar och utveckling av andra sätt att göra jämförelser mellan register.

Sammanfattningsvis är det viktigt är att kunna jämföra utfall mellan kirurgiska ingrepp vid prioritering mellan olika typer av kirurgi. I studien fann vi att patienter opererade pga. degenerativa sjukdomar i rygg och nedre extremiteter har mycket låg livskvalitet före operation och når nästan upp till värden jämförbara med normalbefolkningen efter 1 år mätt med EQ5D. Dessa patientgrupper har således stor nytta av kirurgisk intervention och resurser bör tillsättas för detta nationellt.

Patienter som opereras pga. degenerativa sjukdomar i rygg och nedre extremiteter har mycket låg livskvalitet innan operation enligt EQ5D-3L data hämtat från 5 nationella ortopediska kvalitetsregister (Swespine, SHR, SKAR, Swedankle och Swefoot)

Patienter som opereras pga. degenerativa sjukdomar i rygg och nedre extremiteter blir kliniskt relevant förbättrade i EQ5Dindex i jämförelse från före till 1 år efter operationen

Kirurgi är en viktig intervention som gör nytta för patientgrupperna ovan och resurser bör tillsättas för att de ska kunna få vård i tid oavsett bostadsort

Bortfall av patient-rapporterade data är ett problem för samtliga kvalitetsregister

Maria Cöster Överläkare och docent Akademiska sjukhuset, Uppsala Capio Movement, Halmstad
Register All N=20,154 Study population1 N=15,519 EQ-5D index EQ-5D index EQ-5D index EQ-5D index Preop mean (CI) Preop mean (CI) Postop mean (CI) ∆ mean (CI) Swespine 0.33 (0.31-0.33) 0.34 (0.32-0.35) 0.64 (0.63–0.65) 0.30 (0.29-0.32) SHR* 0.41 (0.40-0.41) 0.41 (0.40-0.41) 0.81 (0.80–0.81) 0.40 (0.39-0.41) SKAR** 0.48 (0.47-0.49) 0.49 (0.49-0.50) 0.78 (0.78–0.79) 0.29 (0.28-0.30) Swedankle 0.35 (0.30-0.39) 0.36 (0.31-0.41) 0.68 (0.64–0.73) 0.32 (0.27-0.38) Swefoot 0.34 (0.29-0.39) 0.35 (0.29-0.42) 0.68 (0.61–0.73) 0.33 (0.26-0.40)
48 Ortopediskt Magasin 2/2023

#WeEmpowerPeople https://www.ottobock.com/en-sc/microprocessor-knees

Vattentät, säker, anpassningsbar.
Genium X3

Kliniska och morfologiska aspekter av Metastatisk

ryggmärgskompression

I denna avhandling fann vi att tumörer som debuterar med ryggmärgskompression kan ha lång överlevnad efter kirurgi. Tumörrelaterad instabilitet är en viktig indikation för kirurgi men korrelerar inte till funktion och överlevnad och en ny klassificering av prostatacancer ryggmetastaser har identifierats som korrelerar till både överlevnad och neurologisk funktion.

Avhandlingens viktigaste slutsatser

Årets Avhandling

Ryggmärgskompression pga en metastas drabbar ca 2,5-5 procent av patienter med cancer. Efter en randomiserad studie av Patchell et al (2005) som visade bättre neurologisk funktion för kombinationen kirurgi och radioterapi jämfört med enbart radioterapi, så skedde ett paradigmskifte där kirurgi blev en hörnsten i behandlingen. Kirurgi för denna sköra patientgrupp är dock behäftad med betydande risker för komplikationer och medianöverlevnaden efter kirurgi ligger i de flesta studier endast mellan 6-9 månader.

Det har skett en radikal utveckling inom onkologisk behandling för flertalet tumörformer men metastatisk ryggmärgskompression är vanligast hos patienter med känd cancersjukdom i ett skede av sjukdomen där ofta ingen ytterligare behandling finns att erbjuda. Ryggmärgskompression kan också vara första manifestationen av en tidigare odiagnostiserad malign sjukdom där tillgänglig behandling kan möjliggöra lång överlevnad. Den senast förslagna algoritmen ”NOMS” tar hänsyn till Neurologisk funktion (N), mekanisk instabilitet (M), onkologisk behandling (O) samt systembörda och prognos (S) inför kirurgi för metastaser i ryggen.

I delarbete I, studerades utfall efter kirurgi för patienter där tumörsjukdomen debuterat med ryggmärgskompression. Studien visade på en heterogen grupp där majoriteten av tumörerna kunde diagnostiseras och att denna grupp kan ha god överlevnad. Patienter med nydiagnostiserad prostatacancer hade en medianöverlevnad på 6 år efter kirurgi, medan

gruppen vars primärtumör även efter diagnostiskt arbete förblev okänd hade en medianöverlevnad på endast 3,5 månader (figur 1).

Patienter med ryggmärgskompression som första manifestation av malignitet representerar en heterogen grupp vissa tumördiagnoser kan ha flera års överlevnad efter kirurgi vilket betonar vikten av diagnostik av primärtumör.

SINS är användbart för bedömning av tumörrelaterad instabilitet, men är inte relaterad till överlevnad neurologisk funktion efter kirurgi.

I delarbete II och III studerades tumörrelaterad mekanisk instabilitet klassificerad enligt Spinal Instability Neoplastic Score (SINS). SINS har fått ett stort genomslag i både litteratur och klinisk tillämpning men dess prediktiva värde är osäkert. Relationen mellan SINS och neurologisk funktion och överlevnad studerades för prostatacancer (II) och hematologiska maligniteter (III). Båda studierna visade att SINS inte har ett prognostiskt värde för överlevnad eller neurologisk funktion vid operation, men att nästan alla som utvecklat ryggmärgskompression var retrospektivt klassificerade till instabila eller potentiell instabila kategorierna. Detta indikerar att SINS kan vara ett värdefullt verktyg för bedömning av tumörrelaterad instabilitet.

Patienter med ryggmärgskompression som första manifestation av malignitet representerar en heterogen grupp där vissa tumördiagnoser kan ha flera års överlevnad efter kirurgi vilket betonar vikten av diagnostik av primärtumör.

Myelom-likt utseende på MR är associerad med dålig prognos efter kirurgi för ryggmärgskompression hos patienter med metastaserande prostatacancer.

I delarbete IV identifierades en specifik typ av ryggmetastaser hos patienter med prostatacancer med ett ”myelom-likt” utseende på MR. Vi fann att denna grupp hade sämre överlevnad och neurologisk funktion efter kirurgi. Myelom-likagruppens genexpressionsprofil, proliferationsmönster, benintegration, och androgenreceptoruttryck jämfördes med övrig prostatacancer med ryggmärgskompression. Dessa skiljde sig inte åt avseende tidigare kända prognostiska markörer men myelomlika gruppen hade ett annat genomexpressionsmönster. Studien belyser heterogeniteten även inom samma tumörgrupp och kan tillföra ny information om ryggmetastaser ifrån prostatacancer.

SINS är användbart för bedömning av tumörrelaterad instabilitet, men är inte relaterad till överlevnad och neurologisk funktion efter kirurgi.

Myelom-likt utseende på MR är associerad med dålig prognos efter kirurgi för ryggmärgskompression hos patienter med metastaserande prostatacancer.

Johan

Specialistläkare och medicinsk chef Ryggenheten Norrlands Universitetssjukhus

50 Ortopediskt Magasin 2/2023
FAKTA
Studien belyser heterogeniteten även inom samma tumörgrupp och kan tillföra ny information om ryggmetastaser ifrån prostata cancer.
Figur 1. Prognosen för patienter som debuterar med akut ryggmärgskompression på basen av en metastas är heterogen (K: njurcancer, CUP: ”cancer of unknown primary”, PCA: prostatacancer). Figur 1. Prognosen för patienter som debuterar med akut ryggmärgskompression på basen av en metastas är heterogen (K: njurcancer, ”cancer of unknown primary”, PCA: prostatacancer)
0 3 0 6 0 9 0 1 2 0 0 5 0 1 0 0 T i m e a f t e r s u r g e r y ( m o n t h s ) O v e r a l s u r v i v a l ( % ) P C A M y e l o m a L y m p h o m a L u n g C U P K B C o l o n

lntramuscular pressure in the lower leg

Studies on chronic exertional compartment syndrome and effects of external compression

Den röda tråden i denna avhandling är intramuskulära tryck, det vill säga trycket inuti muskeln, och i detta fall i underbenen under och efter ansträngning. Avhandlingen undersöker träningskompressionsstrumpors effekt hos löpare och kartlägger muskeltrycken hos patienter med kroniskt kompartmentsyndrom (KKS) i underbenen.

Intresset av kompressionskläder är stort bland idrottare, men det råder delade meningar om nyttan för friska personer. I den första delstudien undersöks hur det intramuskulära trycket, syresättningen i muskulaturen och nivåerna av muskelskademarkörer påverkas hos friska försökspersoner vid användning av träningskompressionsstrumpor.

I de tre andra delstudierna undersöks det intramuskulära trycket, både före och efter operation, hos patienter med KKS i underbenen. KKS är ett smärttillstånd som många sannolikt ovetandes lider av och som dessutom ofta missas vid läkarbesöket, troligen eftersom kliniska tecken ofta saknas i vila. Trycket i underbensmuskulaturen stiger och blir onormalt högt i samband med träning, vilket leder till lokal smärta och muskelsvaghet. KKS kan förekomma i alla fyra av underbenets muskelloger, men vanligtvis drabbas den främre muskellogen. Diagnosen verifieras genom mätning av det intramuskulära trycket efter ansträngning. För att säkerhetsställa att KKS föreligger krävs ett intramuskulärt tryck >30 mmHg en minut efter ansträngning och/eller >20 mmHg fem minuter efter ansträngning. Gränsvärdena är de samma oavsett vilken muskelloge som undersöks och vilket kön patienten har. Den traditionella behandlingen vid KKS är operation i form av fasciotomi, klyvning av bindvävhinnan som omger muskellogen.

Resultaten från Delstudie I visade att användning av kompressionsstrumpor i samband med löpning ökade det intramuskulära trycket och minskade den lokala syresättningen i underbensmuskulaturen jämfört med löpning

med låga strumpor. Studien visade också att serumnivåerna av muskelskademarkören myoglobin ökade mer vid löpning med kompressionsstrumpor jämfört med utan. Detta stärker tidigare teorier att kompressionsstrumpor inte ger någon prestationshöjande effekt hos friska personer.

I Delstudie II gjordes en kartläggning av de intramuskulära trycken hos 864 patienter med ansträngningsutlöst underbenssmärta. Studien visade att trycken i den främre muskellogen var signifikant högre än i de andra tre muskellogerna i underbenet. Delstudie III, baserad på 962 patienter med underbenssmärta, visade att bland patienter med KKS hade kvinnorna signifikant lägre intramuskulära tryck än männen i alla fyra av underbenets muskelloger. Utifrån resultaten i dessa två studier kan slutsatsen dras att gränsvärdena för intramuskulärt tryck vid diagnostisering av KKS bör anpassas till vilken muskelloge som är engagerad samt till patientens kön. Genom en justering av diagnoskriterierna kan fler patienter få rätt diagnos och därmed rätt behandling.

I Delstudie IV följdes 144 patienter med KKS upp minst ett år efter fasciotomi av den främre muskellogen. Uppföljningen innefattade bland annat förnyad tryckmätning av den opererade muskellogen. Resultaten visade att de intramuskulära trycken var signifikant lägre efter fasciotomi, 77% av patienterna var nöjda med operationen och 83% hade en lägre smärtnivå. Studien bekräftar att fasciotomi är en framgångsrik behandlingsmetod för patienter med KKS.

Årets Avhandling

FAKTA INTRAMUSKULÄRA TRYCK I UNDERBENEN:

Ökar vid yttre kompression, vilket leder till nedsatt muskelsyresättning hos friska individer Är högre i den främre muskellogen jämfört med de tre andra muskellogerna hos patienter med ansträngningsutlöst underbenssmärta

Är högre i samtliga muskelloger hos manliga patienter med KKS jämfört med kvinnliga patienter

Sänks med hjälp av fasciotomi hos patienter med KKS, vilket leder till minskad smärta

Sophia Halldin Lindorsson Överläkare, med dr Ortopedkliniken Sahlgrenska Universitetssjukhuset

Ortopediskt Magasin 2/2023 51

Periprosthetic Joint Infection -

Prevention, diagnosis, and treatment

I Sverige sätts omkring 35 000 ledproteser i höft och knä årligen. Protesinfektion är en allvarlig komplikation som kan uppstå efter ledprotesartroplastik som det är av yttersta vikt att förebygga och förhindra. Om en protesinfektion uppstår påbörjas en utdragen och komplicerad behandling som innefattar kirurgi och långvarig antibiotikabehandling. Detta kan långvarigt försämra patientens livskvalitet och dessvärre kan också protesfunktionen påverkas negativt på lång sikt för all framtid.

För att optimera behandlingsvinsten av proteskirurgi finns det ett stort behov av att kontinuerligt öka kunskapen om förbyggande, diagnossättning och behandling av ledprotesinfektioner. I denna avhandling har vi undersökt hur en ledprotesinfektion kan förebyggas, bättre diagnostiseras och utvärderat specifika behandlingsmetoder.

I studie I undersöktes sambandet mellan förekomsten av en ytlig postoperativ sårinfektion efter elektiv primär höft- eller knäprotesartroplastik och risken för djupprotesinfektion. Hög ålder, fetma och hög ASA-klassificering (American Society of Anesthesiologists) är patientfaktorer som kan associeras med hög risk för ytlig postoperativ sårinfektion. Hög ASA-klassificering påvisades också vara en avgörande faktor för att en ytlig postoperativ sårinfektion ska utvecklas till en djup ledprotesinfektion.

Diagnostisering av en ledprotesinfektion är en stor utmaning och trots att många diagnosalgoritmer finns tillgängliga är ingen idealisk och det finns utrymme för kontinuerlig utvärdering och förbättring.

En diagnosmetod som kan användas, är att mäta alfa-defensin i ledvätska. Alfa-defensin tillhör en grupp peptider som produceras i tunntarmen och som frisätts av vita blodkroppar i infekterade områden och har en central roll i immunförsvaret där de bryter ner bakteriers cellmembran. Det finns två tillgängliga metoder för att mäta alfa-defensin i ledvätska, ett är ett ELIZA (enzyme-linked immunosorbent assay-based) test som analyserad på ett laboratorium men svaret dröjer ca 1 dygn och ger ett kvantitativt svar. Det andra testet är ett snabbtest som ger ett binärt utslag inom 10 minuter.

Studie II var en meta-analys med syftet att undersöka om alfa-defensin i ledvätska kan bidra till att stärka diagnostiken av en ledprotesinfektion. ELIZA-testet påvisade en

hög sensitivitet och en hög specificitet som kan användas både för att konstatera och utesluta en protesinfektion. Sensitiviteten för snabbtestet visade sig inte vara tillräcklig för att utesluta infektion, men den höga specificiteten gör att metoden har en plats i bedömningen av misstänkt ledprotesinfektion genom att testresultatet blir tillgängligt omedelbart och kan fungera utslagsgivande.

I den preoperativa utredningen som föregår behandlingen av en protesinfektion är det viktigt att identifiera orsakande bakterier, för att kunna planera en optimal behandlingsregim.

Studie III visar att preoperativa mjukdelsbiopsier inte stärker diagnostiken av ledprotesinfektion på grund en låg tillförlitlighet.

Omoperationer är mycket komplicerade och medför en förhöjd medicinsk risk för patienten. Den kirurgiska behandlingsmetoden måste väljas med omsorg för att kunna ge en förväntad behandlingsvinst. Alla kirurgiska insatser vid behandling av en ledprotesinfektion måste kombineras med antibiotikabehandling. Det finns en strävan att hitta antibiotikaalternativ som kan sväljas för att minska riskerna vid intravenös administrering och minska behovet av längre sjukhusvistelser.

Studie IV visar på att linezolid är ett användbart peroralt alternativ med hanterbara och reversibla biverkningar hos patienter med en ledprotesinfektion orsakad av koagulasnegativa stafylokocker.

Rifampicin är ett biofilmsaktivt antibiotika med en central roll i implantatrelaterade infektioner. I studie V fann vi att protesbevarande kirurgi, som är det kirurgiska valet hos patienter som lider av tidig ledprotesinfektion (ledprotesinfektion som uppstått kort tid efter protesinsättningen) som orsakas av rifampicinresistenta stafylokocker, har en högre frekvens av sämre behandlingsresultat jämfört med om den orsakande stafylokocken är rifampicinkänslig.

Årets Avhandling

FAKTA

Hög ASA-klass är en avgörande faktor för progress av en ytlig postoperativ sårinfektion till en djup protesinfektion.

Snabbtestet för alfa-defensin kan inte utesluta en protesinfektion.

Preoperativa vävnadsbiopsier har låg tillförlitlighet och stärker inte diagnostiken

Linezolid är ett användbart per-oralt antibiotika vid behandling av KNS.

DAIR är en tveksam behandlingsmetod vid rifampicinresistenta stafylokocker.

52 Ortopediskt Magasin 2/2023
Hannah Eriksson Ortopedspecialist, PhD Akademiska sjukhuset

Trauma-related rotator cuff tears

From the outside to the inside

Axelns rotatorkuff är välstuderad men det är den degenerativa, kroniska skadan som har fått det mesta av uppmärksamheten. I min avhandling har vi valt att studera den akuta, traumarelaterade kuffrupturen.

Rotatorkuffruptur är vanligt förekommande hos arbetsföra personer och aktiva pensionärer. Förekomsten ökar med åldern och symptombilden varierar stort. De skador som diagnosticeras efter ett fall, drag eller ryck i armen klassificeras vanligen som traumarelaterade rotatorkuffrupturer. Det övergripande syftet med denna avhandlingen var att undersöka om tidig operation medför god läkning av de reparerade senorna och om det finns några riskfaktorer för utebliven läkning av traumarelaterad rotatorkuffruptur.

Epidemiologiska data från en kohort av 331 vuxna individer med mjuka skulderskador presenteras i delarbete I. En subakut magnetkameraundersökning visade att 60 av dessa patienter hade en genomgående ruptur av minst en av rotatorkuffens senor. Vi presenterade en årlig incidens motsvarande 16 traumarelaterade kuffrupturer per 100 000 innevånare och den vanligaste var en kombinationsskada av både subscapularis- och supraspinatussenan. Studien visade även att traumarelaterad rotatorkuffskada är betydligt vanligare hos män än hos kvinnor.

Delarbete II beskrev resultatet efter kirurgisk reparation, som genomfördes med titthålsteknik inom 6 veckor från skadetillfället, för 62 individer med traumarelaterad rotatorkuffskada. Resultatet visar att ca 1/3 av de reparerade senorna i rotatorkuffen inte var fastläkta efter ett år. På gruppnivå förbättrades individerna avsevärt avseende såväl axelfunktion som sjukdomsspecifik patientrapporterad livskvalitet. Patienter med ofullständigt läkt rotatorkuff hade signifikant sämre axelfunktion jämfört med de som läkte.

I delarbete III studerade vi histopatologiska förändringar i vävnaden från den rupturerade senan som skördades under operationen. Detta har inte tidigare gjorts i en väldefinierad grupp bestående av enbart individer med traumarelaterad rotatorkuffruptur. Resultatet jämfördes med vävnadsprov från en referensgrupp bestående av individer med känd degenerativ skada, långvariga symptom utan trauma. Resultatet visade, något förvånande, ingen signifikant skillnad i graden av degeneration eller inflammation mellan grupperna. Däremot fann vi en högre grad av apoptos (självdöda celler) och proliferation i vävnaden.

Delarbete IV analyserade de faktorer som potentiellt kan förklara utebliven läkning efter kuffsutur av traumarelaterade rupturer. Efter en noggrann sambandsanalys (riktad acyklisk graf) testades 10 riskfaktorer för kausalt samband mellan fullständig och ofullständig läkning. Resultaten talar för att ålder, fettomvandling av kuffmuskel och skada på rotatorkabelns infästning är riskfaktorer för ofullständig läkning.

Sammanfattningsvis har avhandlingen bidragit med ny och viktig kunskap om rotatorkuffskador. Även om den akut skadade individen aldrig haft några större besvär från axlarna visar denna avhandling att det kan finnas bakomliggande degeneration i vävnaden som inte skiljer sig från kroniska skador avseende vävnadskvalité. För den behandlande läkaren och kirurgen är det viktigt att föra ett noggrant resonemang med patienten där för- och nackdelar av operation jämförs med icke-operativ behandling eftersom det finns en ansenlig risk för att senreparationen inte läker.

Årets Avhandling

FAKTA

Är relativt vanligt förekommande, speciellt bland män, och skadorna omfattar ofta fler senor än vid kroniska skador som uppstår utan något trauma

Involverar vanligen subscapularissenan, antigen som isolerad skada eller som del i en antero-superior eller global skada

Uppvisar en grad av degeneration som inte skiljer sig från vävnadsdegenerationen i kroniska skador

Som opereras subakut uppvisar lägre läkningsförekomst hos äldre individer, i skuldror med muskulär fettomvandling och i de fall rotatorkabelns infästning skadats

Ortopediskt Magasin 2/2023 53
Aagaard Överläkare
Ortopedi
Knut
Axelsektionen VO
Helsingborgs lasarett

Proximal and distal humeral fractures –

Outcome of primary arthroplasty

Årets Avhandling

Enligt en randomiserad studie (Studie I) ger behandling med omvänd axelprotes bättre axelfunktion än behandling med halvprotes för äldre patienter med felställda 3- och 4-fragments proximal humerusfrakturer. Detta ger visst stöd för användning av omvänd axelprotes.

Behandling av en distal humerusfraktur med halvprotes. A) Svår fraktur på distala humerus. B) Trasiga ledytan tas bort och ersätts med en halvprotes som har en form som liknar ledytans. C) Det är viktigt att ledbanden kopplas tillbaka till överarmen för att få en stabil led. Illustration av Pontus Andersson

Det finns fortfarande oklarheter avseende vilken behandling som ger optimal funktion efter frakturer på proximala eller distala humerus hos äldre patienter när ledytan är svårt skadad. Protes är ett vedertaget behandlingsalternativ. På senare år har framkommit nyare proteskoncept som har utmanat mer etablerade koncept men det har varit brist på jämförande randomiserade studier vilka har gjorts i Studier I och III.

Det har ansetts vara allmän kunskap att läkning av tuberkulum majus leder till bättre axelfunktion efter behandling av proximala humerusfrakturer med halvprotes. Studier av ämnet har dock inte sammanfattats i en litteraturöversikt vilket gjordes i Studie II.

Oxford Elbow Score (OES) är ett av få väl utvecklade och validerade patientrapporterade utfallsmått som är armbågsspecifikt. OES har en relativt lång 28 dagars "recall period" (tidsperioden patienter ombeds utgå ifrån). I Studie IV undersöktes vilken effekt det hade på mätegenskaper att korta ”recall perioden” från 28 till 7 dagar.

Studie I Halvproteser var länge förstahandsval av axelprotes för proximal humerusfraktur men omvända axelproteser används allt mer. Teoretiska fördelen över halvprotes är att funktionen är mindre beroende av en intakt rotatorcuff och tuberkelläkning. Patienter 70 år och äldre med 3- eller 4-fragmentsfrakturer randomiserades till omvänd axelprotes (n=41) eller halvprotes (n=43). Omvänd axelprotes ledde till bättre axelfunktion i form av fler poäng i Constants score och bättre rörelseomfång (flexion och abduktion).

En meta-analys (Studie II) visade att patienter som hade inläkt tuberkulum majus efter behandling av proximala humerusfraktur med halvprotes hade fler poäng i Constants score och bättre flexion än patienter där tuberkulum majus inte läkt fast eller läkt i felaktig position.

Studie III Helprotes är det etablerade behandlingsalternativet för svåra distala humerusfrakturer men medför en livslång begränsning i belastning till skillnad från halvproteser som är en nyare behandling. Äldre patienter (≥60 år) med distala humerusfrakturer som var ej möjliga att reparera med plattor randomiserades till halvprotes (n=18) och helprotes (n=17). Grupperna hade jämförbara resultat avseende Disabilities of the arm, shoulder and hand (DASH) score, Mayo elbow performance score (MEPS) och rörelseomfång (böjning och sträckning).

För patientrapporterade utfallsmått kan det ha fördelar att ha en kort ”recall period” eftersom negativa effekter av förändringar i funktion över tid och bristande minne gällande besvär kan vara mindre. OES hade enligt Studie IV bra mätegenskaper när det användes med en kortad 7-dagars ”recall period”.

En meta-analys (Studie II) visade att inläkt tuberkulum majus efter behandling av en fraktur i proximala humerus med halvprotes ger bättre axelfunktion än när tuberkulum majus inte läkt fast eller läkt i felaktig position.

Enligt en randomiserad studie (Studie III) ger behandling med halvprotes och helprotes jämförbar armbågsfunktion för distal humerusfrakturer som ej går att laga med plattor. Andra faktorer, så som aktivitetsnivå, kan beaktas vid behandlingsval.

Oxford Elbow Score (OES) ger pålitliga resultat när det används med en 7-dagars "recall-period". Den svenska översättningen av OES var pålitlig. Det har saknats väl validerade armbågsspecifika utfallsmått på svenska.

54 Ortopediskt Magasin 2/2023
Eythór Örn Jónsson Ortoped Sahlgrenska Universitetssjukhuset
A B C
FAKTA
A) B) C)

Studies on acromioclavicular joint injuries –

Clinical outcomes and radiological classification

Acromioclavicularledsluxation (AC-ledsluxation) är en vanlig skada, där vi nu med starkt vetenskapligt stöd kan avråda från kirurgi i de flesta fall. Detta kan direkt appliceras i ortopedens vardag och förenkla beslut, spara tid, huvudbry och ekonomi.

AC-ledsluxation är vanligast hos fysiskt aktiva män 20–40 år vid cykling, fotboll, ishockey eller fall på axel-arm. Slätröntgen är fortfarande gyllene standard för utredning av AC-ledsluxationer, och klassifikation enligt Rockwood typ I-VI.

Studier av tillräckligt god kvalitet har saknats för att kunna rekommendera behandling avseende typ III och V, men generellt har typ I och II behandlats med fysioterapi och typ IV-VI med operation. Anmärkningsvärt är att> 160 olika operationsmetoder finns att välja mellan.

För att ta reda på hur man bäst behandlar AC-ledsluxation typ III-V har vi studerat patienter i två retrospektiva studier och en randomiserad kontrollerad studie (RCT), samt utvärderat tillförlitligheten vid klassifikation enligt Rockwood.

I studie I jämfördes resultatet efter två operationsmetoder för kronisk AC-ledsluxation typ III-V, retrospektivt. Ena gruppen opererades med ligamentförflyttning (Weaver-Dunn), med tillägg av en PDS-fläta, och den andra med Weaver-Dunn med tillägg av en hookplatta. Patienterna återfick god skulderfunktion, enligt skulderfunktionssystemet Constant Score (CS) samt de subjektiva formulären SSV, SPADI och QuickDASH (QD). Ingen signifikant skillnad uppmättes mellan grupperna i skulderfunktion, smärta i vila (mätt med VAS) eller felställning på röntgen. De som opererats med hookplatta hade signifikant mer smärta i rörelse, och upplevde utseendet av axel och ärr mindre tilltalande.

I studie II jämfördes retrospektivt utfallet efter operation av AC-ledsluxation typ V som opererats akut med hookplatta inom 3 veckor, eller i sent skede med Weaver-Dunn och hookplatta. Bägge grupper återfick god skulderfunktion,

men patienterna som opererats akut hade signifikant bättre resultat i SSV, SPADI, QD, smärta i vila och rörelse, felställning på postoperativ röntgen, men inte i CS eller kosmetik.

Studie III är en RCT av 124 patienter med akut AC-ledsluxation typ III och V som jämförde resultatet efter operation med hookplatta inom 3 veckor, eller fysioterapi. Patienterna följdes i 2 år med CS, QD, SSV, smärta i vila och i rörelse samt EQ-5D. Efter 3 månader var de opererade sämre i alla parametrar, men efter 6 månader hade skillnaderna utjämnats. Vid 2 år fanns inga signifikanta skillnader i resultaten efter operation eller fysioterapi, även avseende kosmetik och nöjdhet. Patienterna återfick mycket god skulderfunktion. Opererade patienter hade medel CS 91 av max 100, och icke-opererade CS 88–90 av 100, vilket motsvarade 96–99% av oskadade axelns CS. Minsta kliniska viktiga skillnad (MCID) på 10–17 poäng gör det svårt att med operation kunna förbättra skulderfunktionen signifikant.

I studie IV testades tillförlitligheten av Rockwoods klassifikationssystem för AC-ledsluxationer typ III och V med röntgen och datortomografi (DT). DT gjorde tillförlitligheten signifikant säkrare. En ny enklare metod för att klassificera AC-ledsluxationer på röntgen testades samtidigt, och gav bäst överensstämmelse vid upprepade bedömningar. Denna var signifikant bättre än klassifikation på röntgen, men inte bättre än röntgen och DT i kombination.

Sammanfattningsvis har dessa studier ökat kunskapen om AC-ledsluxationer typ III-V. Patienterna återfår god skulderfunktion och blir nöjda efter AC-ledsluxation. Vid akut AC-ledsluxation typ III och V visar resultaten ingen fördel efter operativ behandling med hookplatta, vilket talar emot rutinmässig operation.

Årets Avhandling

Patienter återfår god axelfunktion och är nöjda efter AC-ledsluxation typ III-V

Vid akut AC-ledsluxation typ III och V blir patienter lika bra oavsett operation eller icke-operativ behandling – ej stöd för rutinmässig op

DT i kombination med röntgen ger signifikant bättre reproducerbarhet vid klassifikation av ACledsluxation Rockwood typ III och V

Ortopediskt Magasin 2/2023 55 Helena Boström Windhamre Biträdande Överläkare, PhD Ortopedkliniken Capio St Görans sjukhus
FAKTA

X-Rom Post-Op Knee Brace

Postoperativ knäortos med låg vikt som ger patienten god komfort, stabilitet och är enkel att använda

FÖRDELAR OCH EGENSKAPER

• Tele-Fit-teknik – fyra skenor som rör sig oberoende av varandra.

• Stabil utformning med låg vikt som förhindrar att ortosen glider.

• Böjbara skenor för varus/valgus-anpassning.

• Antimikrobiellt överdrag neutraliserar lukt och ökar komforten och hållbarheten.

• Uppdaterad leddesign som exakt kontrollerar rörelseomfång i 10-graderssteg: från -10 till 90 graders extension och -10 till 120 graders flexion.

• Quick Lock gör det enkelt att justera ortosen från -10 till 30 grader i 10-graderssteg.

• Låsknapp på skenor för enkel och exakt justering.

• Mycket god passform för olika knästorlekar.

KONTAKTA DIN PRODUKTSPECIALIST

Lars Tunestål – Syd Leg. Ortopedingenjör

0720 83 79 64 lars.tunestal@enovis.com

Skåne, Halland, Blekinge Kalmar, Kronoberg Norrbotten, Västerbotten Jämtland

Rickard Hanzek – Väst Leg. Ortopedingenjör 0761 30 57 70 rickard.hanzek@enovis.com

Västra Götaland, Dalarna Västmanland, Värmland Södermanland, Östergötland Örebro, Jönköping

Kundtjänst 040 39 40 00 order.nordic@enovis.com Stockholm, Uppsala Gotland, Västernorrland Gävleborg

Enovis | Murmansgatan 126 | 212 25 Malmö | 040 39 40 00 | enovis.se
oss på SOF 28 augusti –1 september Tele-Fit-teknik – för individuell anpassning Quick Lock gör det enkelt att justera ortosen

Affärsmässighet också i den offentliga vården!

För länge, länge sedan när Pompe var klinikchef damp det med jämna mellanrum ner saftiga klumpfakturor på utomlänsoperationer. Många och ospecificerade, ofta kraftigt saltade, men de betalades per automatik, utan någon koll. Det var inte bara oproffsigt utan också ett slöseri med skattebetalarnas pengar att handla på löpande räkning.

Det fanns heller inga upphandlingsavtal, och även om de flesta operationer var välgjorda så fanns det leverantörer med – låt oss säga – varierande kvalitet. Men det hade vi ingen systematisk koll på, utan det avslöjades först när komplikationerna droppade in. Och med dagens teknik är ju tidiga komplikationer ändå sällsynta, så det tog ett tag innan man kunde se vilka leverantörer man inte skulle köpa av. Det var korkat.

När McDonald’s köper potatis så har man många och detaljerade kvalitetskrav. Vi måste kräva kvalitetskriterier när den offentliga vården köper operationer. Men som OM:s illustra läsekrets vet, så är vårdens IT på 1800-talsnivå – inte för att tekniken saknas, utan för att de 21 ”regionerna” inte kan enas om standarder. Ungefär som spårvidden i järnvägen.

Vad värre är, så har arbetsgivarorganisationen Sveriges kommuner och ”regioner” (SKR), som av någon anledning rattar kvalitetsregistren, inte gjort det nödvändiga grundläggande arbetet att bygga en hållfast och robust banvall; i detta fall att komma överens om termer och begrepp, och då går det inte att digitalisera. SKR framhärdar dessutom i att kräva en grotesk dubbeldokumentation i vården. SKR vägrar att länka register och journaler, något som exempelvis reumatologer och gynekologer har bra system för: det är en patientsäkerhetsfråga. SKR hävdar felaktigt att det är olagligt. Enligt vilken paragraf?

Den som för in en uppgift i register/ journaler är ju identifierad med sitt SITHS-kort, så var ligger problemet? Det är ju samma data som står i journalerna, och i cyberspace kan man ju diskutera vad som är original och vad som är kopia.

Kolla tabell 2 i senaste årsrapporten från ledprotesregistret (googla)! Hur ligger din klinik till? Det finns kliniker i Sverige som inte ens rapporterar sina operationer till patientregistret, vilket är olagligt. Det är bara det att myndigheterna inte bryr sig. Det borde köparna av operationer göra – och framför allt patienterna. Det är en fråga om konsumentskydd och patientsäkerhet. Och några respektabla sjukhus utmärker sig med förbluffande låg registreringsfrekvens. En ledningsfråga, kan man tycka. Det är tydligen svårt att reglera i lag, men borde gå lättare genom avtal och överenskommelser mellan säljare och köpare. Det gör man i alla andra industrier.

Registreringsplikt måste därför ingå i de kommande upphandlingsavtalen, som bör göras av proffs, centraliserat så man får förhandlingskraft. Det skulle spara miljarder till vården. Utan registrering till kvalitetsregistren, inget pröjs – money talks.

Det måste också ske på ett sätt som går att bearbeta maskinellt och korsköra med ekonomisystemen. Varje kirurgiskt implantat och varje operation är ju tidsstämplat med ett unikt behan-

dlingsnummer. Det är inga svårigheter att göra specificerade fakturor på enskilda operationer. Då kan man också göra en uppföljning värd namnet. Ingen annan åtgärd skulle höja den kirurgiska kvalitén lika kraftigt. Det klarar ju all annan industri, där produktionskontroll on-line är en central funktion. I vården kommer resultaten långt senare, och går då ej att använda för statistisk processstyrning.

Lämpligen kan man kräva att leverantörerna av operationer också registrerar i svenska perioperativregistret www.spor.se och sedan länkar det med de kirurgiska kvalitetsregistren och patientregistret. (SPOR tankar automatiskt ner data från operationsplanerings-programmen – utan dubbelarbete.) Det kommer att ta många år, men det gör det ju också att bygga järnvägar. Det första och största problemet är ju att komma överens om var spåren ska läggas. Läser man de många och ordrika utredningarna som skrivits i frågan av olika myndigheter och SKR blir man beklämd.

Som kanske framgått så anser Pompe att vi måste länka journaler och kvalitetsregister, och borra hål i de vattentäta skott som nu onödigtvis finns mellan vårdens databaser. Om det krävs, så får man väl skriva om IT-lagarna och anpassa dem till verkligheten. Därför måste vi skapa opinion. Fråga dina patienter vad de anser om sekretess versus säkerhet.

Ortopediskt Magasin 2/2023 57 POMPES hörna

Vit Bourgogne

äntligen dags för vinskribentens egen favorit

ARTIKEL 5569, 399 KR

I beställningssortimentet Saint-Aubin Vielles vignes, Domaine Roux 2020

Producenten Roux Pere & Fils (Far & Son Roux) är ett av de första handelshusen som startade vinproduktion i Bourgogne och har en självklar plats i vårt test. Vielle vignes betyder ”gamla vinrankor”, men tyvärr betyder det i fråga om franska viner endast att vinstockarna är äldre än 20 år – om ens det.

I näsan bör du finna nougat, mineraler, vanilj och eventuellt grönt äpple. Smakerna som nöt och smör är tydliga. Precis som sig bör för en vit bourgogne, ska även viss tropisk frukt kännas. Den höga syran tycker jag tyder på att vinet fortfarande är för ungt och bör lagras minst 5 eller gärna 15 år till. Köp och glöm!

När någon pratar om vin från Frankrike så tänker många på Bordeaux, men så glider kanske tankarna kanske vidare mot Rhone-dalen … I mitt fall tveklöst till Bourgogne.

Bourgogne eller Burgundy, som amerikanerna säger, är ett förhållandevis stort område med cirka 2300 vinodlare som odlar vin på 47 900 hektar. Däremot är Côte-d'Or och dess södra del Côte de Beaune i verkligheten ett mycket litet område, som de flesta av de vita viner som nämns i den här artikeln kommer ifrån.

När du kör igenom Bourgogne så passerar du kanske Chablis, det område som de flesta faktiskt tror är en druva. Sedan tar du dig ner genom dalen och passerar välkända namn inom vinvärlden som Du Mersault, Clos de Vougeot, Vosne-Romaneé, Puligny-montrachet och minst hundra andra.

Kanske påminner du dig ett par röda viner, med namn som Romaneé-Conti eller Leroy Musigny, båda mytomspunna vinmakare, men vi kommer här att fokusera på vita viner från området.

FÖRST LITE BAKGRUND

Det sägs att namnet Bourgogne härstammar från Skandinavien, då de första som bosatte sig i området kom från den lilla ön Bornholm, redan för 2500 år sedan. Under medeltiden utvecklades Bourgogne som vindistrikt, kyrkan hade en stor del av produktionen och cisterciensermunkarna grundade flera gårdar som finns kvar än i dag, till exempel Clos de Vougeot från 1100-talet.

Munkarna förde noggrann bok över sina viner, de antecknade allt från smak och doft till färg. De delade även in odlingarna i olika växtplatser, det som vi idag känner som Cru. De allra bästa vinlägena inhägnades och fick därav namnet Clos, som betyder innestängd.

På 1850-talet härjade vinlusen i Bourgogne och produktionen minskade markant, efter detta återplanterades endast de bättre vingårdarna och en generell kvalitetshöjning blev den välkomna effekten.

OCH SEDAN LITE OM DRUVAN

Det stora flertalet vita viner från området Cote du Beaune innehåller chardonnay, men det är även tillåtet att använda pinot blanc och pinot gris, även om det är mycket ovanligt. I viner från Chablis får man endast ha chardonnay och det är säkerligen därför som många blandar ihop druva med distrikt.

Jag har valt att testa två av det femtiotal vita viner från Cote de Beaune som säljs via Systembolaget idag. Jag valde ett av det mest kostnadseffektiva (man får tydligen inte säga ”billigt” om vin, då det är en hantverksprodukt) från Systembolaget.

ARTIKEL 5607, 899 KR

I beställningssortimentet Puligny-Montrachet, Vincent Girardin 2018

Vincent Girardin är tolvte generationen vinmakare och har många gånger kallats ”The Golden boy of Beaune”, och hans viner är verkligen gyllene! Familjen Girardin lagrar sina viner i nya ekfat och det ger en distinkt färg och en kraftigare vaniljton i vinet.

Smaken är som sagt vanilj, men det smakar också smör – inte på ett konstigt sätt utan mer som ett lent smör i gommen. Tydlig citrus och äpple i näsan, lite gräs och örter innan det hunnit lufta sig fullt.

Om man känner att man vill testa ett mycket bra vin från regionen så rekommenderar jag verkligen det här. Det finns i Systembolagets beställningssortiment och leveranstiden är tydligen lång. Själv har jag fått vinet i gåva … jag tror att det var från en ortoped men jag minns inte helt säkert!

Vinspalten 54 Ortopediskt Magasin 2/2022
58 Ortopediskt Magasin 2/2023

Turn static files into dynamic content formats.

Create a flipbook

Articles inside

Vit Bourgogne

2min
pages 58-59

Affärsmässighet också i den offentliga vården!

2min
page 57

Studies on acromioclavicular joint injuries –

2min
pages 55-56

Proximal and distal humeral fractures –

2min
page 54

Trauma-related rotator cuff tears

2min
page 53

Periprosthetic Joint Infection -

2min
page 52

lntramuscular pressure in the lower leg

2min
page 51

ryggmärgskompression

2min
page 50

Nyttan med patientrapporterat utfall från kvalitetsregister

2min
pages 48-50

ISPO världskongress i Guadalajara

2min
pages 46-48

Xtra Torsion. Xtra Shock.

1min
pages 45-46

Knee Replacement Academy

1min
page 45

Pelles säkerhetshörna Ljus ses i horisonten

3min
page 44

kvalitetsregister

1min
page 43

av Per Wretenberg

1min
page 42

Ortopedexamen

5min
pages 38-41

Ortopedexamen

2min
pages 36-37

ST-skola HÖFT

1min
pages 35-36

ST-skola KNÄ

2min
pages 34-35

Äntligen är vi igång!

1min
page 34

Vill du vara med och utveckla vår kursverksamhet och vår förening?

1min
page 32

Vart är vi på väg?

7min
pages 28-31

AAOS ANNUAL MEETING

3min
pages 26-27

Dagbok från akuten av Hanne Kjöller

1min
page 25

Starta eget företag

4min
pages 24-25

Årets slipsten

1min
page 23

Arbeta offentligt eller privat – det är frågan

4min
pages 22-23

Rädda ryggjouren!

5min
pages 20-21

Offentlig sektor – ett ideologiskt val

2min
page 19

Jobba privat – bara guld och gröna skogar, eller?

4min
page 18

"Det är en ständig balansgång mellan tillgänglighet, kvalitet och ekonomi"

4min
pages 14-15

Offentlig – privat – eller båda?

2min
page 13

NPO förespråkar reglerad samverkan mellan offentlig och privat vård

7min
pages 10-12

Skapa robusta samarbeten mellan privat & offentlig vård

6min
pages 8-9

Tema Offentlig vs privat vård

2min
pages 6-7
Issuu converts static files into: digital portfolios, online yearbooks, online catalogs, digital photo albums and more. Sign up and create your flipbook.