


![]()




Redaktion
Medlemstidskrift för Svensk Ortopedisk Förening och Sveriges Ortopedingenjörers Förening.
Ortopediskt Magasin utkommer 4 ggr/år 2012 vecka 13, 23, 40 och 52.
Manus till redaktionen senast sex veckor innan respektive utgivningsvecka.
Ansvarig utgivare:
Professor Li Felländer-Tsai, Ortopedkliniken, Karolinska Universitetssjukhuset, 141 86 Stockholm, tel 08-585 821 02, fax 08-585 822 24, e-post sofkansli@ortopedi.se
Redaktion:
Docent Anders Wykman, Ortopedkliniken, Helsingborgs lasarett, tel 042-406 10 57, fax 042406 24 06, e-post anders.wykman@skane.se
Fackredaktör Börje Ohlsson, 0417-310 26. epost: borje@ortopedisktmagasin.se
Ortopedingenjör Magnus Lilja, SOIF, Gjuterigatan 9, 553 18 Jönköping, tel 070-667 06 76 e-post m.lilja@ossur.com
Specialistläkare Karin Bernhoff, Ortopedkliniken, Akademiska sjukhuset, Uppsala, tel 018611 00 00, fax 018-50 94 27, epost karin.bernhoff@gmail.com
Redaktionsadress:
Ortopediskt Magasin, Box 89, 273 22 Tomelilla, 0417-310 26, fax 0417-312 61. e-post: borje@ortopedisktmagasin.se
Hemsida: www.ortopedisktmagasin.se
Hemsida SOF: www.ortopedi.se
Manuskript och annonser skickas till redaktionsadressen ovan.
Prenumeration (ej SOIF) SOF:s kansli, Tuna Industriväg 4, 153 30 Järna, tel. 08-550 390 50, fax 08-550 104 09, e-post sofkansli@ortopedi. se.
Prenumeration:
4 nr 150:– per år för medlemmar. Övriga 200:– per år.
Annonspriser:
För prisuppgifter, övriga uppgifter eller annan information, samt bokning av annonser: Mikael Törneman, tel 073-22 93 222, epost mikael@ortopedisktmagasin.se. Bokning senast fyra veckor innan respektive utgivning. Lämning av annonsmaterial senast tre veckor innan respektive utgivning. Rabatt 10% vid bokning av fyra annonser samtidigt. Upplaga: 2.000 ex.
Tryck:
Centraltryckeriet, Ystad. Nr. 1 2012. ISSN 0349-733X
Detta nummers tema är diabetes, och i synnerhet foten. FOTO: Börje Ohlsson

Medarbetare i detta nr:
Olle Svensson, olle.svensson@orthop.umu.se Li Felländer-Tsai, li.tsai@karolinska.se Sylvia Resch, sylvia.resch@skane.se Anders Wykman, anders.wykman@skane.se Karin Bernhoff, karin.bernhoff@ gmail.com Martin Ålund, martin.alund@vgregion.se Hedvig Örneholm, hedvig.orneholm@med.lu.se Jonas Malmstedt, jonas.malmstedt@karolinska.se Anton Johannesson, anton@ortopedteknik.se GertUno Larsson, gert-uno.larsson@skane.se Marie Göransson, marie.goransson@skane.se Ulla Tang, Rut F Öien, rut.oien@ltblekinge.se Soffia Gudbjórnsdottir, soffia.gudbjornsdottir@registercentrum.se Magnus Löndahl, magnus.londahl@med.lu.se Josefin Fridlund, josefin.fridlund@aktivortopedteknik.se Anne Garland, anne.garland@akademiska.se Per Olerud, per.olerud@sodersjukhuset.se Anna MacDowall, anna.macdowall@tiohundra.se Sven-Anders Sölveborn, sven-anders.solveborn@skane.se Magnus Karlsson, magnus.karlsson@med.lu.se Ola Rolfson, ola.rolfson@vgregion.se Markus Waldén, markus. walden@skane.se Michael Ullman, michael.ullman@telia.com Richard Wallensten, richard.wallensten@ karolinska.se

Gå som vanligt utan närmare eftertanke, bakåt och framåt, ibland fort, ibland sakta, gå uppför och nedför trappor, kliva över hinder och sitta avspänt – detta är en dröm för protesbärare som knäledssystemet Genium kan uppfylla.
Nya funktionen OPG (optimerad fysiologisk gång) gör att kraftansträngningen och behovet av koordination för brukaren minskar betydligt, särskilt vid gång i sluttningar eller på ojämnt underlag.
Andra uppskattade egenskaper är:
• induktiv laddning av protesen
• interaktiv fjärrkontroll
• fem inställbara extralägen
• batteridrifttid på fem dagar
• upp till 150 kg brukarvikt


Som nytillträdd ordförande för Svensk Ortopedisk Förening vill jag börja med att tacka för förtroendet. Jag är stolt och hedrad och närmar mig uppdraget med stor respekt.
Initialt vill jag uttrycka min uppskattning till Olle Svensson som under sin ordförandeperiod initierat många viktiga och innovativa projekt som föreningen nu driver. Implementeringen av rökstopp inför operation för att halvera komplikationsriskerna är ett exempel på modernt patientsäkerhetsarbete. Historien utgör prolog till framtiden och Svensk Ortopedisk Förening har en viktig roll och en stolt tradition att förvalta och förädla.
Ortopedin befinner sig i föränderlig terräng
Tidigare innovationer inom teknikområdet som varit avgörande för framgångarna inom ortopedin skall nu kopplas ihop med faktorer som industrisamverkan med ”tech push”, vårdval, vårdnivå, valfrihet, mångfald, skatteunderlag, demografiska förändringar, en explosion av kvalitetsregister och en internationell sjukvårdsarena. Allt under beaktande av Hälso- och sjukvårdslagens andra paragraf där målet med svensk hälso- och sjukvård formuleras som god hälsa och en vård på lika villkor för hela Sveriges befolkning. Detta sätter sjukvårdsapparaten under press. Eftersom rörelseorgans sjukdomar och skador utgör en omfattande del av sjukvården spelar ortopedin en nyckelroll. Dagens förutsättningar måste matchas med morgondagens behov. Utbildning av nästa generation ortopeder som kvalificerade specialister med förmåga att samtidigt ta ett helhetsansvar är en nyckelfråga. Det är en utmaning att säkra resurser och engagemang för detta när det inte alltid är tydligt om finansieringen av sjukvården är riggad för att leverera långsiktig kvalitet eller enbart sjukvårdstransaktioner för dagen. Och där onödiga komplikationer i värsta fall skulle kunna generera finansiell vinst.
En ny EU anpassad läkarutbildning är i danande
Här måste ortopedin ta sin rättmätiga plats och omfattning i relation till prevalensen av rörelseorganens sjukdomar. Kärnämnet ortopedi har krympt under senare år och vi måste korrigera detta med ortopedi i modern tappning. Ortopedi skall självklart undervisas och läras ut av ortopeder. En ny läkarutbildning kommer påverka specialistutbildningen. Dagens målbeskrivning för specialistutbildningen har nu tillämpats under snart 4 år och det är dags för en översyn.
Ortopediska vårdkedjor, IT system och kvalitetsregister
En sammanhållen vårdkedja är en grundförutsättning både för att kunna leverera god sjukvård och för att kunna bedriva ett systematiskt förbättringsarbete. Modern informationsteknologi med elektroniska patientjournaler kopplade till kvalitetsregister utgör ett Klondike för metaanalyser som ger generaliserbara resultat av klinisk praxis. Datainspektionens ställningstagande mot Life Gene projektet visar dock med all önskvärd tydlighet hur skör linan är i gränslandet registeruppföljning och personuppgiftslagen.
Detta berör även kvalitetsregistren, där ortopedin ju varit föregångare och där strålkastarljuset nu ökar mot bakgrund av den stora satsningen på kvalitetsregister (www.kvalitetsregister.se). Rättspraxis kommer säkert att förändras på sikt. Lika viktigt som det är att säkra patientdata, lika viktig är en hög datasäkerhet, ett kritiskt tänkande och en ständig diskussion kring integritets- och etikaspekter. Vederbörliga tillstånd i all ära. De ger aldrig absolution från kritiskt tänkande.
Det blir uppenbart om man följer tidslinjen bakåt ett drygt halvsekel in i Nazitysklands medicinska värld eller för den delen in i svensk samtida forskning. Betänk Vipeholmsexperimenten som genomfördes 1947-1951. Experiment finansierade av sockerindustrin genomfördes i samverkan med tandläkare där psykiskt sjuka patienter matades med sötsaker för att undersöka om socker resulterade i karies. Patienternas tänder blev förstörda vilket inte gillades av sponsorerna medan forskarna tyckte att resultaten var banbrytande. Sponsorerna lyckades bromsa publiceringen av resultaten ända till 1953. Först under 1990-talet analyserades etiken kring studien och experimenten fördömdes. Sakfrågorna i jämförelserna haltar förvisso, men visar ändå på vikten av kritiskt tänkande. Dagens lösningar utvecklas inte så sällan till morgondagens problem.
De ortopediska kvalitetsregistren utgör en framgångssaga för svensk ortopedi och har levererat kvalitetsvinster till fromma för patienterna och ökat förtroendet för svensk ortopedi. Expansionen på registerfronten hotar dock att trötta ut patienterna som bombarderas med uppföljningsenkäter vilket kan minska intresset att delta. Det är därför hög tid för en översyn och samordning.
All sanning är provisorisk. Tills vi hittar något bättre.
Li FeLLänDeR-TSAi

Ska man spöa militärer, gör man det lättast medelst skoputsning. Byråkrater, politiker och administratörer mjukgöres lämpligast med papper. Skrifterna ska vara många snarare än långa.
En känd greve D, inmanad i fängsligt förvar, fick kriminalvårdsstyrelsen på knä genom flitigt utnyttjande av sin lagenliga rätt till klagoskrifter: kaffet var för varmt eller kallt, cellen likaså. Plitarna oförsynta eller till och med ibland rent av ohövliga. Som gammal pärmbärare vet Pompe att man inte får slarva med det formella.
I British Medical Journals julnummer, 2011, presenteras evidens för att ortopeder är både starka och intelligenta. Varför nu inte utnyttja dessa våra goda egenskaper för att skriva klagoskrifter? Inte för greve D. Utan för tant Alice, 83, hon på 4:2 som fick fasta i flera dagar i väntan på operation. Om det hade rört den kärnfriske KentKevin, 8, eller den friska Franciska, 33, hade lokalblaskorna ylat som ulvar, lokal-TV hade kommit med det tunga nyhetsankaret i stora SUV:en. Upp-
internutreda för mycket snarare än för lite. Vår gamla kära tant Agdas kalamiteter motiverar nog en Lex Mariaanmälan; den påföljande artikeln i Söderbottens-kuriren sätter dessutom eld i baken på verksamhetschefen, chefläkaren och sjukhusdirren.
mana därför alla med/motarbetare att likt den gode greven låta bläcket flöda! Incidentanmälningar och händelseanalyser: Ju fler desto bättre. Visst, det tar tid. Men snart minskar anmälningar typ ”igår-var-Gullan-dum-mot migigen”. Å andra sida kommer initialt de medicinska/kirurgiska komplikationerna förefalla öka, men det är en chimär eftersom vi tidigare inte hade en aaaaaning hur många de egentligen är. Men på sikt minskar de.
Som luttrad surögd granskare av Lex Maria-fall frågar sig Pompe ibland i dystra stunder om man verkligen ska lägga så stora resurser på att externt utreda kända och välbeskrivna komplikationer. Förmodligen kunde man minska på det genom en bättre komplikationsregistrering och momentan återkoppling till patienten. Synliggörande, återkoppling och intern diskussion är nog effektivare. Googla ”forgive and remember”.
Ein Fall ist kein Fall: dvs enskilda fall har ofta ett mer begränsat akademiskt intresse. Dock vi är väl ändå akademiker enligt BMJ? Men så länge vi inte har koll på komplikations-mönstren kan det väl vara klokt att anmäla eller
Kent-Kevin och Franciska förtjänar förvisso incidentrapporter, och att inkluderas i en tabell över strykningsincidensen på operation för statistisk processtyrning. Bara så vi på sikt kan minska slöseriet. Det sparar också adrenalin, bläck och papper att på en gång ärligt förklara för Lars-Liam, Kent-Kevins pappa, varför det hände. Då blir de flesta blidkade.
Men ska vi få tid med patientsäkerhet och förbättringsarbete måste vi naturligtvis skära bort all den vulstiga gråaktigt missfärgade, stinkande nekrotiska dubbeldokumentation vi alla tyngs av—flera parallella journaler, femtioelva olika dataprogram, tio kvalitetsregister och fler papper än någonsin tillförne. Blodtomhet, långa snitt, radikal debridering, lapisering och sekundärläkning. Periculum in mora,

För övrigt anser Pompe fortfarande att de ortopediska registren bör slås

Hur kan du säkra ditt beslut?
Inom sjukvården har man tagit beslutet att alla kirurgiska ingrepp ska göras i en steril och säker miljö och vidtar omfattande åtgärder för att åstadkomma detta.
– säkra ditt beslut

Diabetes mellitus är alltjämnt en av de vanligaste kroniska sjukdomarna. Uppgifterna varierar, men sannolikt finns över 400 000 personer med diagnosen diabetes i Sverige. Prevalensen i Sverige i högre än i världen i allmänhet; 4% mot 2,8%. Man förväntar en ökning av prevalensen världsövergripande till 4,4% de närmaste 20 åren. Hos personer i Sverige äldre än 80 år har fler än 20% diabetes.
Det faktum att diabetes är en kronisk sjukdom med en rad komplikationer leder till att 8% av sjukvårdskostnaderna i landet tas i anspråk. Största delen av kostnaden beror på kroniska komplikationer som ögonskador, njurproblem och kroniska fotproblem. Fortfarande är det fotsår och dess vård som kräver mest slutenvård vid diabetes.
Det är i samband med fotsår och Charcotfoten, som i enstaka fall kan kräva kvalificerade ortopedkirurgiska åtgärder, som ortopeden oftast kommer i kontakt med diabetesvården.


En nyhet för dig som vill säkra ditt beslut! – säkra ditt beslut

Nu lanserar vi SteriStay – den nya generationen sterilbord

SteriStay är ett unikt sterilbord som med ultraren luft säkrar sterildukningen av dina instrument och utrustning, både under uppdukning och hela operationstiden.
SteriStay är lika smidigt att använda som ditt vanliga instrumentbord!

Effektivt* • Tystgående • Flexibelt
* Hjälper dig att skapa en ultraren luftmiljö med < 5 cfu/m3 luft kring dina sterildukade instrument.


Diabetes drabbar hela patienten. Som ortopeder tar vi nog hand om en hel del frakturer som uppkommer på grund av dålig balans, nedsatt syn och yrsel.
I en del fall är dessa således också en konsekvens av diabetes, även om det fortfarande mest är fotsår , amputationer och Charcot som fångar vår uppmärksamhet.
Av Sylvia Resch
En liten tillbakablick om diabetes: Redan för 125 år sedan publicerades en case report om diabetes mellitus i Lancet. Insulin upptäcktes för 90 år sedan. Med denna nya behandlingsmöjlighet blev det snart uppenbart att kroniska komplikationer till diabetes fortfarande var ett stort problem. Bl. a. observerade man att kallbrand kunde var kopplat till diabetes.
Prevention och total contact casting introducerades.
Inspektion och behandling av fötterna
Allt sedan dess har noggrann inspektion av fötterna, behandling och omsorg i tidigt skede, samt utbildning av både patient och vårdare ansetts som grundläggande. Kärlkirurgiska tekniker som har förbättrats mycket under det senaste decenniet och ortopedteknik med belastningsreduktion är väsentliga delar av en modern omsorg om diabetikers fötter.
Rutiner för att minska antalet amputationer
Socialstyrelsen har nyligen publicerat den Nationella utvärderingen 2011 av diabetesvård.
Där finns bl a att en rekommendation till landstingen att se över rutiner för att minska amputationer över fotnivå. Utvärderingen visar en minskning av amputationsfrekvens totalt sett (från 290 till 260/ 100 000 läkemedelsbehandlade diabetiker), men en ”betydande och oacceptabel” variation i hur landstingen lyckas (från <200 amputationer/ 100 000 till > 400 amputationer /100 000 behandlade diabetiker). 75% av amputationerna föregås av fotsår. Här finns något att göra!! Att registrera och på det sättet uppmärksamma ett problem är ortopeder vana vid sedan länge. Sofia Gudbjörnsdóttir presenterar två register, NDR och RiksSår.
Kanske bör vi också se amputation som ett misslyckande, och t o m ett Lex Maria-fall? Läs om Ulla Tengs resonemang – när verkligheten inte stämmer med löften om bättring.
Multidisciplinära fotteam
Vi vet sedan flera decennier att multidisciplinära fotteam är en väsentlig del i skötsel av diabetesfötter. Det har visats vid många tillfällen. Jan Apelqvist, nestor i svensk diabetesfotvård, ger en tillbakablick om fotteamens uppkomst och del personliga reflektioner. Det krävs ett flertal kompetenser, gott samarbete, både i det konkreta kliniska arbetet kring pa-
tienten, och i utvecklingen av behandlingen. Glöm inte heller värdet i den gemensamma utvecklingen ett sådant team innebär. Kärlkirurgen, ortopeden, ortopedteknikern, infektionsläkaren, alla har sin roll.
Agneta Folestad ger synpunkter på sårbehandling.
Hedvig Örneholm går igenom möjliga ortopedkirurgiska åtgärder för att rädda foten från amputation. Patienter med Charcotfot är genom sina långa behandlingstider frekventa patienter på diabetesfotmottagningar.
tillstånd, och ger en liten blick i en framtid där vi kanske kan hitta benmarkörer.
av fotsår och osteomyelit med hyperbar syrgas. Magnus Lön dahl ger en in blick i modern behandling.



”Diabetesfotens Ingmar Bergman, sårbehandlingens Stieg Larsson” – ja, så karaktäriserades Jan Apelqvist av professor David Armstrong, en av männen bakom den årliga Diabetic Foot Global Conference, när man nyligen tillkännagav att Jan fått 2012 års utmärkelse Olmos-priset.
Av Anders Wykman
Hur kommenterar han då själv priset?
–Jag tar det med ro, säger Jan med omisskännlig norrländsk
dialekt, men det känns märkligt att jämföras med personligheter som bägge var särlingar på sitt sätt.
Jan Apelqvist är mannen som ägnat hela sitt
yrkesliv åt diabetesfoten. Han läste medicin i Umeå men fick i början av 80-talet ett erbjudande att börja forska i Lund.
–Bara för en kort tid, tänkte jag. Ville stanna
i Norrland, säger Jan, som fortfarande efter 30 år är kvar i Skåne, mer eller mindre fast rotad i den skånska myllan. Vid den tiden var ortopedavdelningarna fyllda med patienter som amputerats p.g.a. kärlkatastrofer eller diabeteskomplikationer. Ingen i vården såg diabetikernas fotproblem annat än tillfälligtvis. Skotten i vårdapparaten var så täta, ingen hade någon helhetsbild. Distriktsläkaren skrev remiss när såren inte läkte, infektionsläkaren behandlade infektionen, kärlkirurgen sökte återställa cirkulationen och ortopeden amputerade när inget annat fanns att göra.
Antalet amputationer halverades
-Något måste göras, tyckte Lundaprofessorn Göran Bauer (via Anders Stenström och Dag Ursing) som tog initiativet till att skapa multidisciplinära team för att hantera diabetesfötterna. Jan Apelqvist skulle länka samman en vårdkedja som agerade tillsammans och mer effektivt. Det gjorde teamet, antalet amputationer halverades i Lunds och Orups sjukvårdsdistrikt.
Idag är Jan Apelqvist ansvarig för forskning, utveckling och utbildning vid Diabetesfotcentrum Skåne med bas vid Endokrinologiska kliniken vid Universitetssjukhuset.
Men vägen hit har inte varit lätt. Född med ryggmärgsbråck och med stora gångsvårigheter trodde nog inte många att han skulle bli läkare.
–Men jag lärde mig att gå. Visserligen som en krabba, slängde fram benen och liksom roterade fram. Klart jag var en avvikare och det tvingade fram en stark motivation, säger han. 1990 disputerade Jan på en avhandling om diabetesfotsår vilken fick stort erkännande och internationell publicitet.
Entusiasm viktigast för teamet
Väl fungerande diabetesfotteam verkar vara nyckeln till framgång i omhändertagandet av denna ofta underbehandlade patientgrupp. Hur ser det optimala teamet ut?
- Vilken kunnig och drivande specialist som helst som förmår att samla entusiastiska medarbetare från andra områden är viktigare än specifika ämnesföreträdare när det gäller att få en välfungerande specialistmottagning för diabetesfötter. På något sjukhus är det en infektionsläkare som är ledare för teamet, på andra ställen är det en ortoped som samlar gruppen. Men det vanligaste är nog att en diabetolog har ansvaret för teamet som då utgår från en mot-
tagning som drivs av diabetessjuksköterskor eller diabetesfotterapeuter.
Vilka specialister bör då ingå i en sådan grupp?
-Förutom endokrinologen har vi en fotintresserad ortoped med oss, en infektionsläkare, en diabetssjuksköterska, ett par fotterapeuter samt en ortopedingenjör. Ibland har vi en kurator eller sjukgymnast med och en gång i veckan har vi kärlkonferens då vi samlar speciella problem för att diskutera tillsammans med kärlkirurg.
Många förnekar sin sjukdom
En kurator? Vad gör en sådan i detta sammanhang?
- Många av våra patienter har en under- eller omedveten förnekelse av sin diabetessjukdom och sina fotproblem. Man har därför svårt att ta till sig information, att ta sina mediciner, att använda ordinerade skor och att sköta sig. Ett flertal har också behov av stöd i kommunikation med olika myndigheter p.g.a. nedsatt funktion och ökat hjälpbehov. Vi har haft stor framgång med gruppsamtal under ledning av en kurator. Gruppdynamik verkar vara en stor hjälp.
Fotkirurger? Går det inte bra med allmänna ortopeder?
-Det gäller att veta när , hur och omfattande ett operativt ingrepp behöver genomföras
Många oerfarna kirurger verkar vara rädda för stora snitt. En plantarabscess t ex måste dräneras med vida och djupa incisioner oftast både från fotsulan och från fotryggen. Restorativ fotkirurgi t. ex. vid Charcot eller annan omfattande deformitet kräver stor erfarenhet med hänsyn till anatomi, biomekanik och funktion.
Avlastning är A och O
Kalkgipsarna försvinner från sjukhusen och ersätts med plastgips eller med olika ortoser. Tror du att denna utveckling påverkar behandlingen av t ex osteoartropati?
-Här finns risk att vi förlorar viktig kunskap om hur man bäst behandlar osteopatin; avlastning är här A och O, menar Jan.
-Ingen diabetespatient mår bra av att sitta i rullstol längre tider och eftersom de flesta patienter har svårt att avlasta en fot med kryckkäppar är det kontaktgipsning som gäller –med omgipsning en eller flera gånger i veckan. Det har visats i flera studier. Kontaktgipsning är komplicerat med plastgipsar och ortoser typ
Walker har inte visat sig kunna ge tillräcklig kontaktyta för att avlasta hudytorna.
–Här finns ett stort utbildningsbehov!
-Vakuumbehandling har i många avseenden revolutionerat sårbehandlingen på senare år, t ex efter framfotsamputationer, tycker Jan. Men han varnar samtidigt för att lägga på ett allt för kraftigt undertryck . Det kan till och med göra mer skada än nytta.
Bad frun sätta på kaffe när han bröt benet
Har du några personliga erfarenheter av ortopedi?
-För drygt tio år sedan föll jag en dag i badrummet, hörde hur något knäckte till och fick se mitt ena ben ligga vinklat åt helt fel håll. Jag ropade på min fru, bad henne sätta på kaffe för en fika - för en norrlänning låter var sak ha sin tid. Senare hjälpte hon mig ner till bilen som jag körde till akuten. Underbenet var av på några ställen och det blev externfixation. Tre dygn senare flög jag till Chicago för att föreläsa. Sex månader senare (och sextio kilo tyngre) vart jag fri från ramen, benet var läkt. Sedan dess förflyttar jag mig i rullstol vilket visade sig vara mycket effektivare och snabbare än jag tagit mig fram dessförinnan.
Bra serie som visar handikappades förmågor
En sista fråga: skulle du vilja ställa upp i serien ”Mot alla odds” som gör succé i TV nu under våren?
-Nej, det är inget för mig! Jag är alldeles för bekväm.
-Men serien tycker jag är bra, den synliggör vilka förmågor handikappade människor kan ha – ingenting är omöjligt, avslutar Jan Apelqvist och börjar packa portföljen inför resan till Los Angeles och 2012 års amerikanska diabeteskongress där han ska få ta emot årets Olmos-pris för sina insatser inom diabetesfotvården.
Visserligen är nog både Ingmar Bergman och Stieg Larsson ganska välkända i USA, men bland diabetesforskare i Los Angeles i mars är nog Jan Apelqvist den mest kände svensken.
Referenser
Tord Ajanki, Diabetesportalen, LUDC, Lunds universitet
AnDeRS WyKMAn docent, överläkare, Helsingborgs lasarett
Det finns en hel del som ortopeder behöver veta om sårbehandling allmänt. Vi stöter på sår överallt. Att ordinera sårvård utan närmare plan kan bli både personalkrävande, långdraget och i värsta fall helt verkningslöst.
Av Karin Bernhoff
På samma sätt som vi de senaste årtiondena fått en ökad respekt för mjukdelarnas betydelse för benläkning måste vi börja se patientens totala hälsotillstånd. Det är en förutsättning för läkning oavsett om det gäller ben eller sår.
Optimera patientens hälsa
Behandla bakomliggande sjukdomar: Ett fotsår kan vara första tecken på diabetes. Diabetes bör uteslutas vid svårläkta sår. Dålig metabol kontroll bör regleras. KOL eller hjärtsvikt kan försämra syresättningen.
Rökning: Rökning hämmar syretillförsel i perifer vävnad. Hjälp med rökstopp kan vara helt avgörande för sårläkning.
Ödem: Om hjärtsvikt eller njurinsufficiens är orsaken, behandla dessa tillstånd. Om venös insufficiens föreligger är behandlingen kompression. Kolla dock noga ankeltryck så inte arteriell insufficiens föreligger innan kompressionsbehandling påbörjas.
Hypertonimediciner: Vissa mediciner såsom ex. betablockad ger perifer kärlsammandragning och kan behövas bytas ut under sårläkning.
Arteriell insufficiens: Kontrollera alltid den perifera cirkulationen. Kontakt med kärlkirurg vid kritisk ischemi. Tänk på att , perifer neuropati kan göra att smärtor som symptom kan saknas.
Infektionskontroll
Dålig lukt, feber, ökad sekretion, rodnad och värmeökning talar för infektion. Behandling med antibiotika efter säkrade odlingar är oftast nödvändig. Abscesser vid djup infektion måste dräneras kirurgiskt, där räcker inte antibiotika.

Avlägsna död hud.
Låt aldrig solen gå ner över en plantarabscess, är ett bra ordspråk. Den djupa infektionen ger ett ökat tryck och kan ge upphov till stor vävnadsskada. Studier visar att 86% av alla djupa infektioner kräver kirurgi. Försenad åtgärd ökar risken för amputation eller leder till amputation på högre nivå.
Sårodling
Att få grotta ner en sårodlingspinne i rinnande var kan kännas som om man fått napp på en odling. Men var innehåller mest döda leukocyter och bakteriedödande ämnen så en sådan odling är tämligen meningslös. Sårytan ska tvättas innan odling och det bästa är att ta djupa odlingar med vävnadsbitar.
Gynnsam sårmiljö: Sår ska inte luftas. Sår behöver en fuktig miljö och en jämn tempe-
ratur ca 32 grader. Undvik täta förbandsbyten. När ett förband bytes kyls såret ner och det tar cirka 40 minuter innan såret återfår optimala läkningsförhållanden. Ett tips är också att använda tempererat vatten vid rengöring.
En sårskorpa fungerar som ett lock av koagulerat blod och nekrotisk vävnad. Den klarar dock inte att förhindra uttorkning och bakterietillväxt. Ett fuktbevarande förband ger 50% snabbare läkning.
Välj förband beroende på sårläkningsfas (se nedan) som inte måste bytas ofta och som inte fastnar. Se till att skydda sköra sårkanter från väta och skador av självhäftande förband.
Kirurgisk revision
Vid djup infektion med abscess räcker inte antibiotika utan kirurgisk dränering måste


jämfört med enoxaparin 40 mg x1
För prevention av venösa tromboemboliska händelser (VTE) hos vuxna
Bättre effekt jämfört med enoxaparin 40 mg x11,2
Ingen ökad blödningsrisk jämfört med enoxaparin 40 mg x11,2
Enkel peroral administrering 3
Behandlingen kan påbörjas 12-24 timmar postoperativt *
Inget behov av dosjustering till äldre† eller patienter med måttligt nedsatt njurfunktion
ELIQUIS® ensamt eller i kombination med acetylsalicylsyra ska användas med försiktighet till patienter med kraftigt nedsatt njurfunktion (CrCl 15–29 ml/min) på grund av en potentiellt förhöjd blödningsrisk; ELIQUIS® rekommenderas inte för användning till patienter med CrCl <15 ml/min
* När behandlande läkare beslutar om tidpunkten för administrering inom detta tidsfönster bör han/hon ta hänsyn både till den potentiella nyttan av en tidigare antikoagulationsbehandling för trombosprofylax och till riskerna för postoperativ blödning.
† Det fi nns begränsad klinisk erfarenhet från äldre patienter som behandlats samtidigt med ELIQUIS® och acetylsalicylsyra. Denna kombination ska användas med försiktighet på grund av en potentiellt förhöjd blödningsrisk.
Eliquis® (apixaban) Rx, Farmakoterapeutisk grupp: ännu ej tilldelad, ATC-kod: ännu ej tilldelad. Indikation: Eliquis är indicerat som profylax av venös tromboembolism (VTE) hos vuxna patienter som genomgått elektiv höft- eller knäledsplastik. Kontraindikationer: Kliniskt signifikant pågående blödning. Leversjukdom associerad med koagulationsrubbning och kliniskt relevant blödningsrisk. Varningar och försiktighet: Försiktighet rekommenderas vid tillstånd med ökad blödningsrisk. Eftersom det inte finns någon klinisk erfarenhet hos patienter med kreatininclearance < 15 ml/min eller hos patienter som genomgår dialys, rekommenderas inte Eliquis till dessa patienter. Eliquis ensamt eller i kombination med acetylsalicylsyra bör användas med försiktighet till patienter med allvarlig
nedsatt njurfunktion (kreatininclearance 15–29 ml/min) på grund av en potentiellt högre blödningsrisk. Dosjustering är inte nödvändig hos patienter med lindrigt till måttligt nedsatt njurfunktion. Det finns begränsad klinisk erfarenhet från äldre patienter vid samtidig behandling med Eliquis och acetylsalicylsyra. Eliquis rekommenderas inte till patienter med allvarligt nedsatt leverfunktion. Beredningsform, styrka och förpackningar: 2,5 mg: 20, 60, filmdragerade tabletter/förp. Övrig information: Eliquis® är receptbelagt och förmånsberättigat. För fullständig information och pris se www.fass.se. Texten är baserad på produktresumé 18 maj 2011. Bristol-Myers Squibb, Box 15200, 167 15 Bromma, tel. 08-704 71 00, www.bms.se. Pfizer AB, Vetenskapsvägen 10, 191 90

Sollentuna, tel. 08-550 52 000 www.pfizer.se.
Referenser: 1. Lassen MR et al. N Engl J Med 2010; 363:2487-2498. 2. Lassen MR et al. Lancet 2010; 375:807-815. 3. Produktresumé för ELIQUIS® (apixaban). February 2011.
Publiceringsdatum: augusti 2011 Jobbkod: EUAPI069a




Peroral antikoagulation som fungerar bra på båda nivåerna


till. Vid sårrevision avlägsnas den döda vävnaden så att det som återstår är ett rent sår. Död vävnad är ett bra substrat för bakterietillväxt. Det kan initialt vara svårt att avgöra vad som är viabel vävnad. Upprepade mindre revisio-
ner kan behövas. Behandling med fluglarver kan fungera väl i gränslandet då de enbart äter av död vävnad. Dött ben och brosk avlägsnas. Det finns fortfarande olika uppfattningar om en osteit kan läka ut med enbart antibiotika-
behandling eller ej. Små osteiter i t.ex. tår kan behandlas med antibiotika med och samtidigt avlägsnande av sekvestrar och mjukt ben.
Skor och inlägg
Vi ortopeder sitter ofta på förskrivningsrätten för ortopedtekniska hjälpmedel och hit räknas oftast skor och inlägg. Sår orsakas inte alltför sällan av för trånga skor och tryck utifrån. Patienter med ökad risk för att utveckla sår bör förutom bra skor ha strumpor för att undvika skjuvnings-skador mellan hud och djupare vävnad. Vid sår ska området avlastas och trycket fördelas. Behandlingsskor, inlägg eller avlastande underbensortoser är exempel på hjälpmedel som kan förskrivas. Även behandlingsgipsar kan ordineras. Var aktsam på förband i skor, -om det blir för trångt kan förbandet i sig orsaka eller förvärra ett trycksår.
Vad ska jag lägga på såret?
På ett trycksår kan man lägga vad som helst utom patienten själv. Detta poängterar ju vikten av avlastning men det är lite mer komplicerat än så.
Det finns en uppsjö av olika förband på marknaden och vilket man ska använda beror på i vilket stadium såret befinner sig.
I början, i upprensningsfasen behövs ett förband med hög absorptionsförmåga som kan ta upp bakterier och sekret. En lagom fuktig miljö bidrar till att den autolytiska upprensningen kan fortgå. Detta förband måste bytas oftare (varje dag vid infektion) då produkter ska bort från såret. Exempel på sådana förband är hydrofiber och polyurethanskum. (Vi bör inte använda handelsnamnen i tidskriften)
I nästa fas, granulationsfasen bytes förbandet bara 1-3 ggr per vecka. Här måste den nya granulationsvävnaden skyddas. Förbandet får inte fastna och det ska bevara en fuktig miljö. Exempel på ett sådant förband är polyurethanskum-förband. Ocklusiva förband av typ kolloidplattorkan användas om såret inte vätskar för mycket och vid diabetes om såret inte är beläget nedom ankeln.
I den sista slutläkningsfasen kan förband belagda med tex silikon som inte fastnar i såret användas.. Det ska bevara fukten på sårytan och skydda mot yttre påverkan. Hur ofta ett förband behöver bytas i de senare faserna beror främst på hur mycket såret vätskar och hur väl det sitter förankrat.
Vid fördröjd sårläkning och infektion kan bioaktiva förband användas. Antiseptiska för-


fekterat skelett. (En mer detaljerad redogörelse för förband finns i boken fotkirurgiav Montgomery och Lidström kap. 6. Agnetha Folestad)
Ett rent operationssår eller ett akut uppkommet traumatiskt sår utan större vävnadsförlust hos en frisk individ läker vanligen utan komplikationer inom 6 veckor. Om detta inte sker betraktas såret enligt WHO:s definition som ett svårläkt/långsamläkande sår. Benämningen kroniskt sår används inte längre då det kan minska ambitionerna att med behandling läka såret.
Man bör följa såret med sårjournal och fotografisk dokumentation. Efter sex veckor bör man ta sig en funderare på om diagnosen är rätt. Kolla cirkulationen (igen), diagnosticera ev. diabetes, uteslut infektion. Finns ytterligare behov av kirurgisk revision?
KARin BeRnHOFF fritt från kapitel 6 om sår av Agnetha Folestad, i boken ”Fotkiriurgi” av Montgomery och Lidström vid djup infektion krävs kirurgisk dränering.
band kan vara ett komplement till antibiotika. Det är här jod- och silverförband kommer in i bilden. Silver har en negativ miljöpåverkan
varför det bör användas sparsamt och i korta behandlingsperioder. Kollagenplattor med antibiotika kan användas på djupet vidi in-

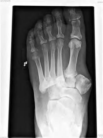
vänster med kraftig abduktionsfelställning. indikation för korrigerande osteotomi i sårfritt intervall.
Charcotfoten är en icke-infektiös destruktion av skelettet i fot och fotled hos patienter med perifer neuropati. Frakturerna och luxationerna är ofta komplicerade och svårbehandlade. Rådande uppfattning är att två mekanismer samverkar vid uppkomsten: en neurovaskulär och en neurotraumatisk.
Av Martin Ålund
Neurovaskulär mekanism: neuropati som leder till minskad sympatikustonus, kan beskrivas som en autosympatektomi. Denna medför hyperämi med benresorption, subkondral kollaps och försvagning av ligament. En Charcotfot är i akutskedet inte dys-
vaskulär utan hyperämisk. Hyperämin kan leda till utbredd osteoporos.
Neurotraumatisk mekanism: en kombination av nedsatt smärt- och djupkänslighet (sensorisk neuropati), försvagad muskulatur (motorisk neuropati) och ett osteoporotiskt fotskelett leder först till mikrofrakturer och
sen till frakturer och frakturluxationer. Det i särklass vanligaste området för frakturer är mellanfoten. Inte sällan har diabetiker dessutom en stram akillessena med spetsfotstendens, vilket kan leda till stora påfrestningar på just mellanfoten.
En nydebuterad Charcotfot uppvisar klassis-
ka tecken på inflammation: rodnad, svullnad och värmeökning. Rodnaden avtar när man lyfter upp foten. Svullnaden minskar i högläge men försvinner inte helt. En sådan fot ska väcka starka misstankar om Charcotfot, i synnerhet om den är sårfri och känseln är minskad. Många patienter kan erinra sig någon form av trauma. En tidig manifestation kan vara en subluxation eller en fraktur i en eller flera leder i foten. Avvägningen mellan trauma och infektion kan dock vara svår. En tumregel är att djup infektion med osteit nästan bara förekommer i anslutning till sår, hämatogent spridd osteit är sällsynt.
Klassifikation
Den vanligaste anatomiska indelningen är den med fem olika mönster. Typ II och III står för >80%.
Typ I Framfot med MTP-leder
Typ II Mellanfot med TMT-leder (Figur 1)
Typ III Bakfot med talus, subtalar- och NCleder (Figur 2)
Typ IV Fotled
Typ V Tuber kalkanei
Naturalförlopp
Mellanfotscharcot leder vanligen till massiv bennybildning. Framfoten kan gå i kraftig abduktion med beniga prominenser medialt liksom nedsjunket eller reverserat fotvalv.
Bakfotscharcot leder oftare till instabilitet och karaktäriseras oftare av destruktiva benförändringar. Bakfoten kan bli breddökad och felställd.
Fotledscharcot leder också ofta till instabilitet och grava felställningar med stor risk för sår och osteit.
Typ fem är egentligen en patologisk fraktur i kalkaneus som kräver kortare avlastning och därefter anpassade ortopediska skor.
Konservativ behandling –sjukdomsinsikten viktig
De flesta Charcotfötter kan och ska behandlas konservativt. Målen är att genom benig konsolidering av fotskelettet uppnå en stabil plantigrad fot, att behandla och förebygga sår och infektioner, samt att hålla patienten uppegående i möjligaste mån. Viktigt är att redan från början säkerställa patientens sjukdomsinsikt. Övervikt, kardiovaskulär sjukdom och försämrat allmäntillstånd är jämte oro och depression möjliga faktorer som allvarligt kan


försämra förutsättningarna för patienten att avlasta sin fot, trots sjukgymnastisk hjälp och träning. Därmed försämras också prognosen med ökad risk för amputation som följd.
Den initiala avlastningen av den akuta Charcotfoten bör ske med en tättsittande gipsstövel, principen är densamma som en behandlingsgips. I början byts den varje vecka då den i regel har mycket god effekt på svullnaden. Bytesintervallet ökar successivt till flera veckor allt eftersom det akuta stadiet avtar. Det visar sig genom att svullnaden i foten fluktuerar mindre mellan morgon och kväll och att temperaturskillnaden mellan sjuk och frisk fot avtar. När den jämnat ut sig (<1 grad) kan man gå över till en ortos. Behandlingstiden i gips vid typ II och III understiger aldrig ett halvår och ligger vanligen mellan 12 och 18 månader.
När foten är kliniskt stabil och röntgenologiskt konsoliderad kan man gå över till form-
gjutna inlägg och behandlingsskor så länge foten inte är felställd. Vid större felställningar kan livslång ortosbehandling bli nödvändig. Grundläggande vid all konservativ behandling är blodsockerövervakning, viktkontroll och sjukgymnastik. Man bör överväga trombosprofylax.
Notera att röntgenologiska förändringar inte är obligata i det akuta skedet. Vid klinisk misstanke utan tecken på fraktur eller luxation bör man upprepa röntgen med bara ett par veckors intervall, samtidigt som man inleder behandling som vid säkerställd diagnos.
Operativ behandling
En del Charcotfötter bör opereras, det finns flera vedertagna indikationer.
1) Akut luxation som hotar huden behöver reponeras och stabiliseras (Figur 3). Ofta be-



Figur 4: charcotfot typ ii vänster med benig protrusion i mellanfoten. indikation för avmejsling, om möjligt i sårfritt intervall.


av



höver repositionen göras öppet, ibland behövs också beniga resektioner.
2) I ett kroniskt skede kan beniga prominenser som har gett upphov till sår, eller hotar göra det, behöva tas bort (Figur 4).
3) Av samma skäl kan en deformerad fot behöva rätas upp för att bli belastningsbar i en plantigrad ställning (Figur 5a). Det kan åstadkommas med korrigerande osteotomier (Figur 5b-c).
4) En instabil och icke belastningsbar fotled behöver stabiliseras medelst artrodes i syfte att förebygga amputation (Figur 6a-d).
Både när det gäller osteotomier och artrodeser kan en solid ossös fusion vara svår att uppnå. Om mjukdelarna klarar sig kan ändå mycket vara vunnet med en fibrös läkning. Den kan tillåta en upprätad fot att passa in i en ortos (Figur 7a-c). Man ska dock inte glömma att amputation i vissa fall kan vara det bästa alternativet (Figur 8a-b). Kom också ihåg att en stram hälsena kan vara en betydande faktor. Tidig hälsenförlängning kan hos diabetiker med känselnedsättning förebygga sår och Charcotfotsutveckling.
Det finns flera kontroverser när det gäller behandling av Charcotfot.
* Vilken grad av initial avlastning är nödvändig för att motverka ytterligare deformitet?
* Vilken belastning behövs å andra sidan för att motverka progress av osteopenin?
* Kan bisfosfonater långsiktigt minska osteopenin och förbättra läkningsprognosen?
* I så fall i vilka doser och under hur lång tid?
* Operation i det akuta skedet och vid små



harcotfotled höger. Figur 7b: Spikartrodes med fibrös läkning efter 20 veckor. Figur 7c: Smärtfri och belastningsbar fot
Figur 8a: charcotfot vänster. Tidigare amputation genom MT 4-5 och flertalet sårrevisioner med borttagning av sekvestrar.

som kontrollerar reparation av skadad vävnad. Nivåerna för dessa markörer i plasma undersöks i det akuta skedet och följs regelbundet under två år. De korreleras till både radiologiska och kliniska fynd.
Målsättningen med studien är att om möjligt hitta en eller flera markörer som på ett tidigt stadium kan indikera starten på en Charcotfotsutveckling, innan kliniska och/eller röntgenologiska tecken blir synliga. Sådana fynd skulle i framtiden kunna bädda för profylaktisk behandling. Med all sannolikhet skulle patienten ha en bättre prognos jämfört med om man behandlar en fullt etablerad Charcotfot.

Figur 8b: efter genomgång av röntgenbilderna beslutas i samråd med patienten om underbensamputation.
deformiteter:
* Kan man förkorta behandlingstiden och/eller förbättra slutresultatet?
* Är det på sikt lika bra att avlägsna beniga prominenser som att göra korrektionsosteotomi?
* Vad ska man välja?
Det saknas ännu jämförande prospektiva studier med tillräckligt enhetliga uppföljnings-
kriterier och långa uppföljningstider för att få tillförlitliga svar på dessa frågor.
På SU /Mölndal studeras sedan 2009 ett antal biomarkörer vars förekomster kan vara korrelerade till utvecklingen av en Charcotfot. Det rör sig bland annat om benmarkörer, som kontrollerar nedbrytning och uppbyggnad av benvävnad, och om inflammationsmediatorer,
Det är dock ännu oklart hur en sådan profylax skulle se ut, vi vet ännu inget om hur vi skulle kunna förhindra utvecklingen av en Charcotfot.
överläkare, Sahlgrenska Universitetssjukhuset, Område Ortopedi, Mölndal

FOTNOT: Jean-Martin Charcot var en fransk neurolog, född 1825. Han utnämndes som chef för Salpetrière-sjukhuset i Paris 1862 och utvecklade detta till Europas mest ryktbara neurologiska klinik under 1800-talet. En av hans främsta insatser var hans ingående studier av patienter med hysteriska symptom. Som botemedel införde han hypnos. Det som gör att hans namn lever kvar var att han studerade artropati hos patienter med tabes dorsalis, det vill säga neurosyfilis. Han beskrev detta 1868. Det var dock först 1936 som William Reilly Jordan gjorde kopplingen till diabetiker. Jean-Martin Charcot dog 1893.
En korrekt och i rätt tid utförd ortopedkirurgisk åtgärd av fotsår hos diabetiker kan rädda fot, ben och till och med liv.
De allra flesta av oss har nog stött på den äldre patienten med diabetes, en fot som luktar illa och skötes av t. ex. make/maka eller hemsjukvården. Jag har själv stött på kommentarer i stil med ”det är ändå inte lönt att göra något, det slutar i alla fall med underbensamputation”. Men är det verkligen så illa? Jag skulle med denna artikel vilja belysa att utsikterna faktiskt inte är så hopplösa som man kan tro.
Diabetes är en sjukdom som drabbar cirka 4% av Sveriges befolkning. Cirka hälften av alla icke traumatiska amputationer i västvärlden utförs på patienter med diabetes. Ungefär 15% av patienter med diabetes får någon gång fotrelaterade problem. Detta är således något som de allra flesta ortopeder kommer att stöta på under sin karriär. Det kan vara på akutmottagningen eller som konsult på medicinavdelningar. Vad bör man då tänka på?
Undersök patienten noga
Dessa patienter kräver en särskilt noggrann anamnesupptagning och undersökning för att bilda sig en korrekt uppfattning om diagnos och behandling. Lokalisation av sår, sårets djup (ytligt eller ner till led och/eller skelett) och förekomst av infektion respektive ischemi måste tas ställning till och styr valet av behandling. En viktig aspekt att tänka på är att dessa patienter inte behöver ha särskilt ont pga den neuropati som många diabetespatienter utvecklar. Detta kan försvåra rätt diagnos såsom infektion och ischemi.
Icke-kirurgisk behandling
Det finns flertalet större studier som visar teamets viktiga roll för dessa patienter. Dia-
betolog/endokrinolog, ortoped, diabetessjuksköterska, fotvårdare, ortopedtekniker samt tillgång till kärlkirurg och infektionsläkare utgör basen som teamet vilar på.
Avlastning en hörnsten
Avlastning av sår, såromläggningar, korrektion av dåligt inställd diabetes, antibiotika vid infektion, utbildning av patient och anhöriga om fotsår och dess behandling samt utvärdering av eventuell perifer ischemi utgör några av hörnstenarna i den icke-kirurgiska behandlingen av fotsår hos diabetiker. Avlastning kan ske med t ex inlägg, specialskor, ortoser, gips, kryckor eller med hjälp av rullstol beroende på sårlokalisation och patientens möjlighet att medverka.
Torra svarta nekroser utan tecken till infektion behöver man ofta inte kirurgiskt röra. Låt nekrosen demarkera och kroppen stöta bort den. Ibland kan man påskynda läkning genom att ta bort löst sittande svart, torr nekrotisk vävnad. Kan ofta ske på mottagningen. Ibland sker en spontan avstötning av en torr nekrotisk tå (autoamputation).
Kirurgisk behandling
Såvida patientens tillstånd inte är livshotande (sepsis, nekrotiserande fasciit) och en akut djup infektion föreligger och en akut kirurgisk åtgärd är nödvändig för att rädda livet/foten bör kärlkirurgisk utredning/konsult alltid genomföras innan eventuellt kirurgiskt ingrepp. Försämrad cirkulation kan vara en orsak till svårläkta sår och ett revaskulariserande ingrepp kan då avsevärt förbättra chanserna till läkning. I svåra fall kan en gemensam bedömning med kärlkirurg underlätta beslut om vad som ska ske i vilken ordning.
Ett smetigt rodnat sår, ibland med både ben och senor i dagen, är ofta i behov av kirurgisk revision. Ben och senor skall inte ligga i dagen, detta försämrar läkningsförmågan. Operation bör ske på operationsavdelning. Det finns inget test för att se var den optimala nivån för kirurgiskt ingrepp går vid kirurgisk revision av ett fotsår. Det viktiga är att se till att ta bort all nekrotisk och infekterad vävnad. Revidera fickbildningar och senskidor och nyp ner utstickande ben med små tag av en Gougetång. Försök att i möjligaste mån få fram frisk blödande vävnad. Ofta får man göra upprepade sårrevisioner.
Djup infektion ökar risken för amputation
En misstänkt plantarabscess är ett akut tillstånd och bör opereras skyndsamt. Vid djup infektion ökar risken för amputation kraftigt. Det är viktigt att ta odling (helst innan antibiotika sätts in) samt att sätta in antibiotika för att minska risken för progress av infektion. Ofta föreligger en blandflora vid djupa infektioner och i avvaktan på odlingssvar rekommenderas en bred antibiotikabehandling. Patienten med akut djup infektion ska vårdas på sjukhus tills situationen lugnat ner sig.
Långa läkningstider
Vid kirurgisk åtgärd för infektion lämnas såren alltid öppna, både vid revisioner och mindre amputationer, för sekundärläkning. Det är ofta långa läkningstider efter ett kirurgiskt ingrepp i den diabetiska foten och behov av nya ingrepp är inte ovanliga.
Omläggningar och liknande kan med fördel skötas av sköterskemottagning på sjukhuset

Före och efter sårrevision, där man vill få fram frisk, blödande vävnad. Foto Håkan Magnusson och Jan Apelqvist.
alternativt inom hemsjukvården, förutsatt att det finns utbildad personal. Dock bör dessa patienter följas regelbundet på sjukhusets multidisciplinära fotmottagning för att kunna fångas upp i tid vid eventuell försämring, för att uppnå bästa möjliga resultat.
Vid mindre amputation (nedom fotled) är det viktigt att man har kunskap om hur och när man bäst utför dessa, då en felaktigt utförd mindre amputation kan framtvinga en högre amputation i onödan. Det borde finnas en ortoped med djupare kunskap inom den diabetiska foten på varje ortopedklinik annars riskerar dessa patienter att fara illa.
Charcot
En värmeökad, svullen, rodnad fot hos en patient med diabetes bör behandlas som Charcotfot tills motsatsen är bevisad! Charcot är en icke infektiös destruktion av skelett i foten hos en patient med diabetes och neuropati (även kallad neuro-osteoartropati). Denna komplikation till diabetes är potentiellt mycket allvarlig och kräver behandling. I tidigt skede syns det ofta inga skelettförändringar på röntgen. Huden är ofta intakt men det kan ändå vara svårt att skilja från infektion. Utlösande orsak kan vara trauma eller sår men man hittar inte alltid en orsak.
Behandling är avlastning med gips tills foten är sval och inaktiv. Det är lämpligt att gipsa om dessa patienter med 1-2 v mellanrum för att förebygga och tidigt upptäcka eventuellt skav av gipset. Gipstiden varierar men bör fortgå till dess att det ej föreligger temperaturskillnad mellan den affekterade foten och den icke affekterade. Detta som tecken på minskad aktivitet.

Efter genomgången behandling är dessa patienter ofta i behov av kontakt med ortopedtekniker för inlägg och skor. Med lite kunskap om dessa patienter och komplikationer kan man som ortoped faktiskt göra ganska stor skillnad i utfallet.
ST-läkare, Ortopedkliniken, Skånes Universitetssjukhus, Malmö
Referenser
Boulton A. The diabetic foot: from art to science. The 18th Camillo Golgi lecture. Diabetologia 2004; 47: 1343-1353.
Boulton A. The diabetic foot: grand overview, epidemiology and pathogenesis. Diabetes Metab Res Rev 2008; 24 (Suppl 1): S3-S6.
International Consensus on the Diabetic Foot and Practical Guidelines on the Mana gement and Prevention of the Diabetic Foot. International Working Group on the Diabetic Foot 2011, Amsterdam, The Netherlands, on USB. (www.idf.org/bookshop).
Larsson J, Agardh C-D, Apelqvist J, Sten ström A. Long term prognosis after healed amputation in patients with diabetes. Clin Orthop Relat Res 1998; 350: 149-58.
Larsson J, Apelqvist J, Agardh CD, Stenström A. Decreasing incidence of major amputation in diabetic patients: a consequence of a multi disciplinary foot care team approach? Diabet Med 1995 Sep; 12(9): 770-6.





Nationella riktlinjer för diabetes 2010. Socialstyrelsen.
The Diabetic Foot. Editors Levin M E, O’Neal L W. 4th edition 1988.
The Diabetic Charcot Foot: Principles and Management. Editor Frykberg R G. 2010.
Utredning och behandling av patienter med extremitetsischemi är ett av kärlkirurgins huvudområden. Förekomsten av diabetes hos
patienter som behandlas med kärlkirurgiska ingrepp för extremitetsischemi varierar mellan 40 och 60%, med den högsta andelen diabetiker i gruppen som behandlas för sår eller gangrän på foten.
Av Jonas Malmstedt
Utredning och behandling av patienter med extremitetsischemi är ett av kärlkirurgins huvudområden. Förekomsten av diabetes hos patienter som behandlas med kärlkirurgiska ingrepp för extremitetsischemi varierar mellan 40 och 60%, med den högsta andelen diabetiker i gruppen som behandlas för sår eller gangrän på foten.
Behandling av ischemiska fotsår hos patienter med diabetes är också en av de största utmaningarna inom kärlkirurgin. Dessa patienter är vanligen multisjuka och åldrade. Överlevnadssiffrorna ligger i samma nivå som flera cancersjukdomar. I Sverige har en patient med diabetes som genomgår bypasskirurgi för extremitetsischemi nästan hälften så lång amputationsfri överlevnad som motsvarande patient utan diabetes (med amputation avses nivå ovan ankel)(Malmstedt, Leander et al. 2008). Således finns det möjligheter och skäl att förbättra vården av patienter med diabetes och perifer kärlsjukdom.
Perifer kärlsjukdom vid diabetes och fotsår
Otillräcklig cirkulation och infektion utgör de två avgörande faktorerna för det kliniska resultatet vid behandling av diabetesfotsår. Den dystra vägen till förlust av ett ben, inleds i de flesta fall med ett fotsår där ischemi antingen är primär orsak till såret eller där underliggande cirkulationsstörning bidrar till försämring av såret.
Såväl läkningsfrekvens som tid till läkning av

amputationsrisk påverkas starkt av graden av ischemi.
Kärlförändringarna vid diabetes är mer utbredda, oftare ocklusiva och involverar frekvent distala kärl (nedom arteria poplitea). Karaktäristiskt är också utbredd mediaskleros (”kalkiga kärl”) något som försvårar många kärlkirurgiska ingrepp. Diabetes medför också ökad koagulabilitet vilket inverkar negativt på utfallet av kärlingrepp.
I EURODIALE-studien hade 49% av patienter med ett nydiagnosticerat diabetesfotsår tecken på perifer kärlsjukdom (ankelbrakialindex, ABI under 0.9 och/eller frånvaro av palpabel fotpuls)(Prompers, Huijberts et al. 2007). Hos patienter över 70 år var siffran 71%. Det historiskt sett välstuderade ”klassiska” plantara neuropatiska diabetesfotsåret var långt ifrån den vanligaste sårtypen.
I och med resultaten från EURODIALE vet
vi nu att majoriteten av patienter med diabetesfotsår har ischemiska eller neuroischemiska sår ofta med infektion och vanligen lokaliserade till tår (55%)
EURODIALE klassificerade såren i fyra stadier, se tabell 1. Patienter i stadium D (både ischemi och infektion) var äldre, hade mer komorbiditet och deras sår var större och oftare lokaliserade till tår eller framfot.
Diagnostik
Diagnostik av perifer kärlsjukdom och värdering av ischemigrad ingår i varje bedömning av diabetesfotsår.
Det bör understrykas att benischemi är en klinisk diagnos som kan understödjas och förfinas genom kompletterande undersökningar. Klinisk undersökning med pulspalpation och mätning av ankeltryck utgör grunden för fort-
satt utredning. Kärlstatus skall ske med patien ten liggande.

Pulspalpation
Vid pulspalpation bedöms arteria femoralis i ljumske, a poplitea i knäveck och dorsalis pedis på fotryggen samt tibialis posterior bakom mediala malleolen. Fynd anges som ”palpabel puls” eller ”ej palpabel puls”; gradering av palpationsfynd är inte meningsfullt. Palpabel puls på samtliga stationer talar emot kärlkirurgiskt betydelsefull kärlsjukdom. Man skall dock vara medveten om att såväl falskt positiva, (undersökaren kan missta sin egen fingerpuls för patientens puls), som falskt negativa fynd är vanliga.
Mätning av ankeltyck sker med hjälp av dopplerpenna och blodtrycksmanschett placerad precis ovan ankeln. Trycket pumpas upp tills dopplersignalen försvinner och ytterligare 20 mmHg varefter trycket minskas sakta (ca 4 mmHg per s). Ankeltrycket är det tryck där signalen återkommer. Mätning sker i båda fotkärlen. Tekniska svårigheter utgörs bl. a av svårigheten att hålla dopplerpennan i läge och kompression av kärlet genom för hårt tryck med pennan. Signalen uppfattas lättare om
av fotkärlen utförs genom att pennan sakta förflyttas vinkelrätt mot kärlets längsriktning. Pennans vinkel mot kärlet bör vara 45-60 grader.
Tolkning av ankeltryck och ankelbrakialindex
Ett normalt ankeltryck är lika högt eller 10 mmHg högre än det högsta systoliska överarmstrycket. Hos ca 30% av diabetiker med fotsår är ankeltrycket falskt högt pga. inkompressibla kärl (kvarvarande dopplersignal vid 300 mmHg). Detta gör att ankeltryck hos diabetiker måste tolkas med försiktighet. Ett ankeltryck under ca 70 mmHg talar för betydande nedsättning av perfusionen. Om man normaliserar ankeltrycket mot det systoliska överarmstrycket fås ankelbrakialindex (ABI). Ett normalt ABI är 0.91-1.20. Perifer kärlsjukdom burkar definieras som ABI ≤ 0.90 och/ eller avsaknad av båda fotpulsarna. Ett ABI ≥ 1.20 indikerar stela kärl och bör anses om icke informationsgivande vis disbetesfotsår. Observera att ankeltrycket endast ger information om perfusion ned till manschettens övre kant, dvs. 10-12 cm ovan malleolnivån. En patient
med grav fetischen p.g.a. ocklusion i distala underbensartärerna kan alltså ha ett relativt normalt ankeltryck!
Sammanfattningsvis talar ett sänkt ankeltryck eller ABI starkt för kärlsjukdom, medans ett normalt ankeltryck/ABI inte utesluter kärlsjukdom.
Kompetterande metoder för värdering av arteriellt flöde
Tå-tryck, transkutan syrgasmättnad (TcPO2) och i viss mån ultraljudsundersökning med duplex (”duplex”) är de i Sverige vanligaste undersökningarna för att värdera graden av perfusionsnedsättning i foten. De kompletterar den kliniska undersökningen men utgör ingen ”gold standard”. De har alla viktiga felkällor och skall alltid tolkas tillsammans med övrig information. Som riktlinjer för klart kritiska nivåer används ibland tåtryck < 50 mmHg eller TcPO2 < 30mmHg (Norgren, Hiatt et al. 2007).
Bilddiagnostik
Syftet med bilddiagnostik är att vid interventionsbeslut skaffa information om kärlföränd-
Angiografi med totalocklusion av samtliga kärlstammar och kollateralfyllnad ovan fotledsnivå.


ringarnas anatomiska utbredning och medringsmetod (se nedan).
Digital subtraktionsangiografi (”angio”) är fortfarande gyllene standard för detaljerad avbildning av underbenets och fotens kärl. Dess främsta nackdelar är invasivitet och kontrastbelastningen. För att minska kontrastmängden kan angiografin begränsas till underben och fot varvid man kan klara sig med 10-20 ml kontrast och därmed minimera risken för njurskada. Det proximala kärlträdet kartläggs då med duplex innan angiografi. Duplex har begränsat värde nedom knänivå.
Kontrastförstärkt angiografi med magnetkamera (MR-angio) respektive CT-angio är två noninvasiva metoder som används allt mer som förstahandsval. Teknikerna har båda fördelen att man kan få en fullständig kartläggning av kärlträdet bilateralt. Problemet är dock att ingen av metoderna har samma precision när det gäller distala underbens- och fotkärl, alltså det område som är av särskild vikt att få precis information om vid diabetes-
fotsår. Artetakter från s.k. venkontamination vid MR-angio och överskattning av stenoser pga. kärlkalk vid CT-angio är fortfarande olösta problem. Hos en patient som klarar kontrastbelastning är dock MR- eller CT-angio utmärkta förstahandsval för att kunna planera behandling. Ibland behöver man komplettera med en selektiv angiografi av underben/fot men denna undersökning kan då ofta kombineras med endovaskulär behandling.
Behandlingsmöjligheter
Målet med behandlingen vid fotsår med ischemi är att åstadkomma bästa möjliga perfusion så att läkning kan ske eller annorlunda uttrycket återställa en palpabel fotpuls (Pomposelli, Marcaccio et al. 1995; LoGerfo and Gibbons 1996). Detta kan åstadkommas antingen genom bypasskirurgi eller med endovaskulära tekniker: PTA (ballongvidgning) av stenoser och SAP (subintimal angioplastik) där ockluderade kärlavsnitt öppnas genom att ett nytt lumen skapas i själva kärlväggen.
Valet mellan öppen bypasskirurgi och endovaskulär intervention måste individualiseras men generellt talar lång förväntad överlevnad (>2 år) och tillgång på ven till graft och uttalad ischemi för bypass(Bradbury, Adam et al. 2010). Hög komorbiditet eller otillräcklig ven talar för endovaskulär approach. Anatomiskt är bypass att föredra vid långa multisegmentella ocklusioner medan endovaskulär metod kan vara det enda möjliga vid omfattande sårutbredning på platsen där distala anastomosen skall placeras.
En ökande andel av behandlingar kombinerar endovaskulär teknik med öppen operation, s.k. hybridingrepp. Detta har bland annat fördelen att bypass kirurgins omfattning kan reduceras om proximala elisioner behandlas endovaskulärt.
Den basala värderingen av om kärlsjukdom föreligger eller ej (anamnes, inspektion, pulspalpation och ankeltryck) bör ingå i varje diabetesfotteams uppgifter. Om misstanke om ischemi, (anamnes/sårutseende, pulsbortfall eller patologiskt ABI < 0.9 eller >1.2) föreligger bör kärlkirurgisk specialist kontaktas tidigt i förloppet. Ett effektivt patientcentrerat teamarbete är det bästa sättet att uppnå bra resultat för denna grupp patienter med en mycket komplex sjukdomsbild. Huruvida en kärlkirurg skall ingå i teamet eller inte är idag en öppen fråga och verksamheten är olika organiserad på olika ställen. Min personliga uppfattning är att kärlkirurger bör delta aktivt i teamarbetet. Därmed inte sagt att alla specialister skall se alla patienter samtidigt eller vid varje tillfälle. Varje team behöver en kompetent kärngrupp som leder arbetet och gör den initiala bedömningen. Som inspirationskälla kan “NICE clinical guideline 119 Inpatient management of diabetic foot” (www.nice.org. uk/guidance/CG119 ) rekommenderas.
Den akuta ischemiska infekterade diabetesfoten
Ett litet sår med underliggande måttlig ischemi kan snabbt utvecklas till en akut hotad fot med djup infektion och progredierande gangrän.
Infektion och ischemi har med rätta benämnts ”double trouble”. Vid detta tillstånd krävs snabbt och effektivt samarbete mellan ortoped och kärlkirurg om det inte skall sluta med amputation. Neuropati och ischemi gör att allvarligheten i tillståndet inte alltid uppfattas, vare sig av patient eller av doktor. Smärtan är liten eller ingen och klassiska infektionstecken dämpas eller uteblir pga. ischemi och en genreellt nedsatt respons på infektion hos diabetiker. Både feber och CRP-stegring kan initialt saknas.
Debridering är ofta nödvändigt att göra inom timmar (detta är diabetesfotens mest akuta och svårbehandlade tillstånd). Parallellt startas utredning och planering för revaskularisering, vilken helst bör ske inom ett dygn. Handläggningen kräver smidigt samarbete för att undvika onödig tidsfördröjning.
Vi saknar idag bra metoder för att gradera perfusionsstörningen och den enskilda fotens behov av förbättrad cirkulation. Detta medför
i sin tur att en av de stora frågorna vid ischemi är – när i förloppet skall revaskularisering göras? Skall det göras tidigt redan vid ett litet sår, som kanske skulle läka utan kärlingrepp eller skall vi avvakta? Idag finns ingen bra objektiv prediktor för läkning av ischemiska sår. Mycket talar för tidigare revaskularisering vid diabetesfotsår jämfört med fotsår utan diabetes. Motivet till detta är den nedsättning av den normala biologin som ses vid diabetes; neuropati med förändrad mikrocirkulation och shuntning, nedsatt infektionsförsvar, nedsatt sårläkning etc. Ett problem i dagens effektiviserade sjukvårdssystem är att hos patienter där man väljer att vänta med revaskularisering, kan en försämring av sårstatus upptäcks för sent pga. bristande intensitet eller kompetens i uppföljningen.
med dr, Kärlkirurgiska kliniken Karolinska Universitetssjukhuset, Stockholm
Referenser
Bradbury, A. W., D. J. Adam, et al. (2010). ”Multicentre randomised controlled trial of the clinical and cost-effectiveness of a bypass-surgery-first versus a balloon-angioplastyfirst revascularisation strategy for severe limb ischaemia due to infrainguinal disease. The Bypass versus Angioplasty in Severe Ischaemia of the Leg (BASIL) trial.” Health Technol Assess 14(14): 1-210, iii-iv.
LoGerfo, F. W. and G. W. Gibbons (1996). ”Vascular disease of the lower extremities in diabetes mellitus.” Endocrinol Metab Clin North Am 25(2): 439-445.
Malmstedt, J., K. Leander, et al. (2008). ”Outcome after leg bypass surgery for critical limb ischemia is poor in patients with diabetes: a population-based cohort study.” Diabetes Care 31(5): 887-892.
Norgren, L., W. R. Hiatt, et al. (2007). ”Inter-Society Consensus for the Management of Peripheral Arterial Disease (TASC II).” Eur J Vasc Endovasc Surg 33 Suppl 1: S1-75. Pomposelli, F. B., Jr., E. J. Marcaccio, et al. (1995). ”Dorsalis pedis arterial bypass: durable limb salvage for foot ischemia in patients with diabetes mellitus.” J Vasc Surg 21(3): 375-384.
Prompers, L., M. Huijberts, et al. (2007). ”High prevalence of ischaemia, infection and serious comorbidity in patients with diabetic foot disease in Europe. Baseline results from the Eurodiale study.” Diabetologia 50(1): 18-25.
NICE clinical guideline 119 Inpatient management of diabetic foot. Mars 2011. National Institute for Health and Clinical Excellence (www.nice.org.uk/guidance/CG119 )

Changes in the lumbar Spine of Athletes From Supine to the True-Standing Position in MRI ”Conclusion
The measurement method in supine and true standing position is excellent for depicting the anatomical regions relevant for spinal canal stenosis in healthy indivuduals.
Measuring the lumbar lordosis angle in both positions is an important requirement for interpreting the relevant anatomical regions. Of particular importance here is the DSCA and the SDSD”

Att bestämma sig för en benamputation är ett svårt beslut för den inblandade och de anhöriga men också ett komplicerat beslut för sjukvårdpersonalen som arbetar med vårdprocessen. Vilken nivå ska man välja? Kommer den valda amputationsnivån att läka? Vilken aktivitetsnivå kan patienten förvänta sig?
Av Anton Johannesson, Gert-Uno Larsson och Marie Göransson
Alla dessa frågor kräver ett professionellt omhändertagande, helst av ett multidisciplinärt team.
I Hässleholm/Kristianstad sjukvårdsdistrikt har man sedan länge arbetat med
både fotsårsteam och protesteam där en del personer ingår i båda teamen. Protesteamet har uppmärksammats både nationellt och internationellt och har presenterat flera artiklar bl.a. i OM tidigare. Fördelen är att vårdpersonalen är väl införstådd med vad skillnaderna mellan fortsatt konservativ behandling av fotsåren och amputation ovan fotleden kan innebära för patienten. Utifrån teamen kan ett välarbetat beslutsunderlag tas fram på kort tid

vilket underlättar för planeringen av den efterföljande vårdprocessen. En annan fördel är att patienten slipper att träffa fler nya ansikten inom vården och berätta sin historia om igen.
När beslutet om amputation är taget så återstår ofta ännu en svår fråga, d.v.s. vilken nivå ska amputationen ske på? I dag finns det inga enkla och/eller säkra metoder som kan förutse läkningspotential på den tänkta amputationsnivån. Oftast blir det en klinisk bedömning av situationen vid operationstillfället som avgör vilken nivå man väljer. Samtidigt vet vi att funktion och nytta med protes hos denna patientgrupp är mycket beroende av om amputationen sker nedanför knäleden. Därför är det viktigt att den som beslutar om nivån är väl informerad om den efterbehandling patienten har möjlighet att få om ett optimalt resultat ska uppnås.
Tidigare har diskussionen handlat mycket om sårläkning på fotnivå och att undvika amputation ovan ankelnivån. I den här artikeln håller vi oss till när detta är oundvikligt, och där valet står mellan att behålla knäleden eller
alternativet, att välja ”säker” läkningsnivå men med risk att bli mer eller mindre rullstolsburen. När amputationen är utförd och läkningen har blivit långdragen eller uteblivit har tidigare det enda alternativet varit amputation på en högre nivå för att säkra sårläkningen.
Man har också ställt krav på att det finns en fullständig läkning av amputationssåret innan någon belastning av stumpen är tillåten. Anledningen var att tidigare protesteknik (med PTB eller KBM hylsdesign) byggde på att merparten av kroppens belastning i hylsan gick runt om kondylerna. Resultatet blev då att huden och mjukdelarna drogs uppåt medan återstående delen av tibia trycktes ned i proteshylsan och utsatte amputationsärret för stora påfrestningar.
Ny teknik, nya möjligheter
I slutet av 80-talet kom silikonhylsan på marknaden och en början till flera positiva förändringar gällande komfort, suspension, på- och avtagning av protesen inleddes. Silikonhylsan ersatte ”strumpor” och mellanhylsa mellan stumpen och den hårda proteshylsan. En annan egenskap hos silikonhylsan var att den försträckte mjukdelarna i proximal riktning när hylsan rullades på (bild 1).
Silikonhylsan förbättrade samtidigt komforten via bättre tryckfördelning och överföring av skjuvkrafter från huden till utsidan av silikonhylsan. Fastsättning av protesen via silikonhylsan mot stumpen (kombination av hög friktion och vakuum) förbättrade suspensionen. Till en början användes en snörkoppling som skruvades fast i en ingjuten platta distalt på silikonhylsan och som därefter låstes på utsidan av proteshylsan. Nästa utveckling var att man ersatte snöret med en stegad snabbkoppling som i sin tur låstes i botten på proteshylsan.
Senare började man märka att mjukdelarna distalt på stumpen minskade med tiden pga. den ”mjölkning” av stumpen som uppstår av det distala kopplingen, speciellt efter flera års användning (bild 2).
Därför har många gått över till att använda tätslutande knämanschett som fästs på utsidan av proteshylsan. Stumpen (med silikonhylsan på) förs ner i proteshylsan. Via ventil i botten på hylsan pressas luft ut och därefter rullas knämanschetten upp. Knämanschetten kommer då i kontakt med huden på låret och ett vakuum uppstår som håller protesen på plats. Denna lösning ger mycket bra suspension, mindre volymförändringar och dessutom un-
derlättar det också för den äldre patienten att ta av och på protesen.
Proteshylsa för underben har traditionellt framställts efter gipsavgjutning och laminerats över ett positiv. Ny tillverkningsteknik som bygger på att man tillverkar proteshylsan direkt på patienten kom fram i mitten av 90-talet. Hylsan som i senare version tillverkas i glasfiber framställs under tryck och ger en totalt ytbärande hylsa (TSB) och protesen framställs vid ett och samma besök på ortopedverkstaden.
Nya möjligheter
Denna kombination av silikonhylsa, direkttillverkad proteshylsa och vakuumsuspension gav nya möjligheter. När den amputerade patienten var redo för protestillverkning kunde man tillverka protes omgående utan någon traditionell tillverkningstid.
Trots den nya tekniken fortsatte frustrationen hos patienterna och vårdgivaren av att man ändå fick vänta på sårläkningen innan protestillverkning kunde utföras. Av den anledningen började vi att prova med att protesförsörja patienterna även om såren inte var helt läkta. Vi började med små sår men när detta fungerade bra vågade vi oss på större sår. Idén bakom var att med vakuum suspension och TSB hylsa kunna uppnå liknande funktion som vid undertrycksbehandling av sår. Effekten uppkommer framför allt när patienten går med protesen. När patienten lyfter protesen ökar undertrycket i hylsan p.g.a. vakuumsuspensionen och protesens tyngd och omvänt upphör undertrycket när patienten belastar protesen. Dessutom ökar blodcirkulationen och syreupptagningen i och med att den amputerade patienten kommer på fötterna igen och börjar röra på sig. Viktigt är då att man har förband över såret så att eventuell sårvätska kan omhändertas.
Sårsjuksköterskan avgörande för lyckat resultat
Samarbete med sårsjuksköterska, som kan följa sårläkningen på nära håll och regelbundet, visade sig vara ett avgörande länk för ett lyckat resultat. Andra kända påverkande faktorer som nutritionsstatus och medicinering övervakades noggrant under tiden då patienten var inneliggande.
I själva gångträningsfasen var det framför allt patientens feedback som var avgörande för hur fort gångträning med protes kunde utökas.



Det som förvånade oss var att patienterna inte klagade mer över smärta vid rehabiliteringen än ”vanliga” patienter med läkta amputationssår.
Resultatet var mycket positivt och har sedan bekräftas av andra team som har besökt oss bl.a. från Manchester, England (Effects of Early Mobilization on Unhealed Dysvascular Transtibial Amputation Stumps: A Clinical
Trial. Van Ross, E.R. et al. 2009) och Växjö (Minskat antal re-amputationer på underben med kort process. Wallin, S-Å. Presentation på Soif Ortopedteknik 2011).

2009 och hur behandlingen utfördes och fort löpte:
82-årig man som genomgick underbens amputation p.g.a. ateroskleros med bensår och svåra smärtor. Efter 6 dagar på akut ortopedavdelning flyttades han till rehabklinik för fortsatt vård. Såret läkte inte primärt men träningen i övrigt gick bra. Vi tillverkade då en protes drygt 4 veckor efter amputationen. Patienten gick med den och såret läkte successivt tills det var helt försvunnet efter tre månader.
I huvudsak så har såret i detta fall behandlats på följande sätt:
• Macererade sårkanter behandlas med en silikonbaserad lösning som penslas på sårkanterna.
• Fibrinbeläggningar i sår löses upp med hydrogel.
• Sårsekretionen fångas upp av ett hydrocoll förband ett förband som kan absorberar stora mängder vätska. Förbandet omvandlas till gel i kontakt med vätska.
• Som täckförband används självhäftande genomskinlig polyurethanfilm
I dagsläget har vi behandlat ett 40-tal patienter med fördröjd läkning och lyckat re-
farenheter tillbaka till teamet. En studie, som pågick under samma tidsperiod i upptagningsområdet, har också visat att den totala incidensen, reamputationsfrekvensen och/eller frekvensen kontralaterala amputationer har varit låg i jämförelse med andra studier trots att omkring 80 % av alla initiala amputationer ovan fotled utfördes på underbensnivå.
Vi rekommenderar att om man önskar använda den här kunskapen behöver man tillägna sig olika delar av den beskrivna tekniken. Viktigast är att protessuspensionen bygger på undertryck kombinerad med TSB-hylsa och att man har ett fungerande team som följer patienten på nära håll. Det är inte ovanligt med infektioner under resans gång men dessa brukar gå att hantera med perorala antibiotika.
AnTOn JOHAnneSSOn ortopedingenjör, Ortopedteknik AB GeRT-UnO LARSSOn ortopedläkare, Ortopedkliniken Hässleholm-Kristianstad-Ystad MARie GÖRAnSSOn sjuksköterska, Hässleholm sjukhus









Vad har hänt de senaste 50 åren i ortopedteknisk behandling av patienter med fotsår orsakat av känselbortfall, kärlskada och fotdeformitet?
Under 1960 talet introducerade Dr Paul W. Brand den framgångsrika gipsbehandingen av fotsår hos patienter med lepra. Senare forskning har bekräftat att både helbensgips och AirCast är positivt för läkning av plantara fotsår orsakat av neuropati.
I texten kommer uttrycket riskfot att användas med innebörden fot med ökad risk för sår eller amputation, vidare är ortopedteknisk behandling vårt svenska begrepp för det som internationellt kallas ”off loading devices” … avlastande hjälpmedel. Behandling med fotvård, hjälpmedel och patientutbildning rekommenderas i Nationella Riktlinjer Diabetes 2010 och utgår från riskgradering enligt:
1. Fot med känsel, ingen kärlsjukdom eller andra fotproblem
2. Fot med neuropati eller kärlsjukdom
3. Fot med tidigare sår eller amputation; det finns tecken på distal neuropati eller kärlsjukdom, fotdeformitet eller annan hudpatologi
4. Fot med pågående sår, eller akut charcotförändring eller smärtsyndrom
Sårläkning vid riskgrad 4
Hur kan ortopedteknisk behandling medverka till sårläkning? Nyckeln är att omfördela krafter som verkar på foten. Målet är att skapa en gynnsam fördelning av tryck på foten vid stående, gående, sittande och liggande. Under femtio år av forskning har fokus legat på utvärdering av metoder för plantar sårläkning. Vi fokuserar på tre vanligt förekommande metoder taget från Cavanagh´s sammanställning 2010. Behandling med helbensgips jämförs

först med framfotsavlastande ortos och sedan med skor med stel rullsula försett med individuellt inlägg. I sårläkande syfte avlastar den framfotsavlastande ortosen 60% så bra som helbensgipset med ”walking heel”. Ortosens begränsning är att den ger knäextension och försvårar normal isättning och avveckling av steget. Skor med stel rullsula med inlägg minskar tryck under stortån med 33 % jämfört med helbensgips.
Hälsår
Om vi uppskattar trycket som uppstår på hälens dorsala anläggningsyta när patienten lig-
ger, mäts en area av 1-2 cm2 upp. Med en vikt av 3-5 kg kalkyleras tryckvärden runt 300 KPa fram. En person som är sängliggandes och har känselbortfall med perifer angiopati får snabbt hälsår. Om skadan har skett kan t ex en hälsårsavlastande ortos användas vilken omfördelar tryck och frilägger hälen.
Prevention av sår vid riskgrad 2-3
Vilka skor och inlägg skyddar fötterna bäst mot skav, tryck och utmattningssår? Flertal forskare rapporterar att plantart tryck minskar om inlägg och anpassad sko används.
Owings rapporterar 2008 att individuellt tillverkade inlägg som baseras på både fotens form och plantar tryckmätning fördelar tryck mer effektivt än om enbart fotens form beaktas. Han föreslår att värden bör understiga 200 KPa (mätt med Pedarsystemet) för att bevara en fot fri från sårrecidiv.
Tang och medforskare presenterade på Internationella Diabetesfotkonferensen 2011 att både individuellt tillverkade inlägg och prefabricerade inlägg fördelar tryck effektivt. De preliminära resultaten visar medianvärden på 159- 261 KPa mätt med F-Scan.
Av tradition är utprovning av skor och inlägg baserat på hantverkstradition. Utvecklingen inom hälso-och sjukvård strävar mot att behandling ska vila på evidens. Framtida forskning kommer att ge än mer vägledning i vilka ortopedtekniska hjälpmedel som är effektiva till en rimlig kostnad och till stor nöjdhet för patienten.
Vad ingår i ortopedteknisk undersökning?
När ortopedingenjören möter patienten



finns uppgifter om patientens status i den medicinska anvisningen. Grunduppgifter med metabol, neurologisk och vaskulär status samt riskgrad är noterad.
Den ortopedtekniska undersökningen innefattar 1) Fynd som beskriver förändrat gångmönster och biomekanik; 2) Fotdeformiter och strukturella förändringar t ex. rörlighet i tårnas och fotens leder, felställningar t.ex. hallux rigidus och hammartår; 3) Hudförändringar som visar tecken på höga tryck i form av förhårdnader, sprickor samt 4) Fotbeklädnad



Uppklippta skor.
inspekteras.
Ortopedingenjör med komplett utrustning gör plantar tryckmätning och tredimensionell gånganalys.
Uppgifterna vägs samman med patientens önskemål och förslag på hjälpmedel ges.
Tryckmätning.

ULLA TAnG legitimerad ortopedingenjör, Ortopedteknik, Sahlgrenska Universitetssjukhuset, Göteborg
Socialstyrelsen uppmanar både patienter och hälso- och sjukvårdpersonal till att aktivt anmäla avvikelser. Men hur ser verkligheten ut runt om i landet? Enligt uppskattningar anmäls bara ungefär en procent av alla fall som inträffar under ett år och som borde tas upp enligt lagen.
Det är stora skillnader mellan landsting vad gäller antalet amputationer utförda på diabetiker 2007-2010. Även om trenden under perioden visar färre antal amputationer i riket som helhet pekar socialstyrelsens granskning 2011 på stora variationer.
För oss i Västra Götaland är 327 amputationer per 100 000 diabetiker över 40 år en oroväckande hög siffra i jämförelse med Södermanland och Dalarna som under treårsperioden haft 195 respektive 196 stycken. Den nationella utvärderingen manar till eftertanke och handling.
Vi backar nu klockan tillbaka till den 9 juni 2010. Ett banbrytande beslut togs i hälso- och sjukvårdsutskottet inom Västra Götalandsregionen. Målet med beslutet var att skapa bra vårdkedjor för patienter med diabetes och risk för fotsår eller amputation. Äntligen! tänkte jag som arbetat med denna patientgrupp i många år.
Men vad har hänt? Får varje patient med diabetes och riskfot rätt behandling i rätt tid oavsett geografisk hemort? Nej. För att påvisa dessa brister och felaktigheter är det modigt och rätt at göra en anmälan om avvikelse.
Alla kan lagen - men få anmäler
All sjukvårdspersonal känner till den svenska lagen kallad ”lex Maria”- men få anmäler brister. Enligt lagen skall det anmälas till Socialstyrelsen om en patient drabbas av allvarlig skada eller utsätts för allvarliga risker i hälso- och
Av Ulla Tang
sjukvården. År 2008 anmäldes 1618 fall i enlighet med lex Maria.
I verkligheten rör det sig dock om mångdubbelt fler fall av brister inom sjukvården.
Socialstyrelsen själv genomförde 2008 en studie av antalet skador i somatisk vård. Den pekade på att 105 000 patienter skadas varje år p.g.a. felaktig behandling eller otillräcklig vårdhygien.
Systemfel
Modern patientsäkerhetsforskning syftar till att peka ut systemfel i vården som orsakar en skada, och som måste åtgärdas i grunden. Med den nya patientsäkerhetslagen som kom 1 januari 2011 har vi fått stöd för att göra vården säkrare genom att identifiera riskfyllda vårdprocesser. Socialstyrelsen uppmanar både patienter och hälso- och sjukvårdpersonal till att aktivt anmäla avvikelser. Så om vi flyttar fokus tillbaka till verkliga livet och presenterar några bilder från avdelningen eller mottagningen:
Anmäl vid första misstanke!
När du finner att såret på hälen uppstod för att patienten låg för länge med oskyddad häl gör en avvikelserapportering!
Om det visar sig att diabetespatient med riskfot varken fått årlig fotkontroll av sin läkare, lämpliga skor eller fotvård, trots att han efterfrågat detta vid sina vårdkontakter, våga anmäl!
Vad är det då som gör att vi låter bli att
göra en anmälan när vi ser patienter far illa på grund av brister i vården? Hur ska vi göra för att för att minska det höga antalet amputationer som sker i Västra Götaland?
Ett skäl till att inte anmäla är av rädsla för egen del eller för att arbetsplatsen ska komma i dålig dager. En andra orsak för att avstå att anmäla är i brist av tid. Slutligen kan det vara svårt att veta när man skall anmäla. En anmälan kan dock göras när man misstänker att patienten utsätts för allvarlig risk. Vi behöver inte ha svaren, men vi måste ställa frågan!
Jag menar att man på alla arbetsplatser måste ha ett öppet och tillåtande klimat för kritik. Ett sådant klimat skapas t ex genom att patientsäkerhetsfrågor öppet och regelbundet tas upp på möten och träffar. All personal måste få kontinuerlig utbildning i patientsäkerhetsfrågor, och kunskap om hur människor fungerar i komplexa system. Vårdanställda måste också beredas tid för att aktivt arbeta med riskförebyggande vårdsäkerhet och till att utveckla säkra rutiner.
För att komma till rätta med de här inneboende problemen är jag övertygad om att det krävs flera förändringar, både hos mig som enskild individ men också strukturella förändringar i de verksamheter vi fungerar inom. Börja förändringen i dig själv! Och kom ihåg… det är patientens bästa vi arbetar för. Våga anmäl - du också!
ULLA TAnG legitimerad ortopedingenjör, Ortopedteknik, Sahlgrenska Universitetssjukhuset



Heel Pad är en behaglig och komfortabel hälstrumpa med silikoninlägg. När silikonet kommer i kontakt med torr eller sprucken hud aktiveras hudens egna helningsprocess. Huden blir smidig och sprickorna försvinner utan användning av krämer. Heel Pad kan bäras under vanliga strumpor, såväl på dagen som på natten.
Art.nr: 767100-000 en storlek (förpackning 10 par)
Alfa MT, DV Stl. 18-38
LK, LO Stl. 23-42










Hobbit NS, AV, TN4, TN8 Stl. 18-38

























Star MT, DV, LO Stl. 20-35































• Hjälp vid droppfot






• Diskret och komfortabel
• Minskar snubblingsrisken
• Säker gång
• För skor eller barfota
• Även till barn








Titta in på YouTube, sökord Dictus Band för råd och tips!

















Podiatri är en akademisk profession som omfattar undersökning och behandling av sjukdomar i foten.
I Sverige startade man på Karolinska Institutet med en treårig utbildning hösten 2006. Den omfattade en rad prekliniska ämnen, bland annat anatomi, patofysiologi, mikrobiologi och biomekanik, samt kliniska ämnen som till exempel idrottspodiatri och fördjupad diabeteslära. Utbildningen ledde till en medicine kandidatexamen.
Av Martin Ålund
Som podiater kan man ägna sig åt dermatologisk podiatri, diabetologisk podiatri och biomekanisk podiatri. Den senare inkluderar fotfelställningar som orsak till besvär i både rygg och nedre extremiteter. Vården av diabetesfötter inkluderar både förebyggande fotvård och sårbehandling. Dessvärre har det för de färdigutbildade podiatrarna varit svårt att hitta en yrkesroll i den svenska sjukvården. Brist på anmälda studenter gjorde att man från och med hösten 2009 lade ned utbildningen. Kvar finns en 7,5-poängskurs i podiatrisk undersökning och behandling av skador och dysfunktion i fot och fotled.
Podiatri i Skottland
Disciplinen har funnits som specialitet i Storbritannien sen början på 1900-talet och hette först Chiropody, vilket är synonymt med Podiatry. Den mer kirurgiskt inriktade podiatrin har funnits sen åtminstone 1960-talet. Utbildningen i Skottland tar fyra år, i England tre år. För att förstå podiatrins roll i arbetet med diabetesfotpatienter inom den brittiska sjukvården gjorde sjukgymnast Lena Jensen och jag i november 2011 ett studiebesök hos den kände podiatern Duncan Stang i Skottland. Han arbetar nära ihop med ortopedingenjören William Munro på Hairmyres Hospital i East Kilbride utanför Glasgow. Sjukhuset är ett av tre sammanslagna sjukhus: Hairmyres, Monklands och Wishaw Hospital. Duncan Stang arbetar 50% kliniskt och 50% som samordnare för diabetesfotvården i Skottland (National Diabetes Foot Co-ordinator).
Diabetesfotteamet
Diabetesteamet består av en podiater, en diabetolog, en ortopedingenjör och en kärlkirurg
som träffas en gång i veckan. Ortoped- och gipstekniker finns att tillgå, fotinriktad ortoped samt dietist kan tillkallas vid behov. Sjukgymnast ingår inte. På Monklands-sjukhuset arbetar två podiatrar parallellt, man delar på patienterna och tar dem i tur och ordning. Diabetologen, som cirkulerar mellan rummen, dikterar journalanteckningar medan podiatrarna skriver in sina fynd och åtgärder direkt i datorn. Duncan Stangs arbete med patienterna påminner mycket om sårsköterskans och fotterapeutens roll i våra fotteam. Mindre sårdebrideringar, nagelvård, trimning av hudförhårdnader samt såromläggning ingår. Podiatern kan se odlingssvar och kan föreslå diabetologen insättning eller ändring av antibiotikabehandling. Podiatrarna har dock (ännu) ingen förskrivningsrätt och diabetologen måste skriva recept. Podiatern har heller inte tillgång till röntgenbilder, diabetologen måste logga in i systemen om bilder ska ses. Kärlkirurgen tittar i första hand på sår som inte har läkt på tre månader. Man kontrollerar pulsar och ankeltryck och skickar sen i regel patienten på en MR-angio. Kärlkirurgen gör även sårrevisioner och amputationer så länge patienten har en åtgärdad eller åtgärdbar kärlsjuka. Ortopeden håller en låg profil i teamet, de flesta operationsfallen handläggs i praktiken av kärlkirurg.
Roller i teamet
Podiatrar i England och Skottland arbetar huvudsakligen med diabetesfötter, vilket är det mest behandlingskrävande området för podiatri. Yrket är attraktivt och välbetalt, statusen jämförbar med tandläkaryrket.
I den svenska sjukvården har dock de färdigutbildade podiatrarna haft svårt för att hitta en motsvarande plats, för få tjänster har inrättats. I våra diabetesfotteam är det i de flesta fall or-
topeder som intar rollen som podiater. Synd att det ofta är svårt att rekrytera fotintresserade ortopeder till arbetet med diabetesfotpatienter. Ett arbete som måste ske i nära samarbete med övriga discipliner - diabetolog, infektionsläkare, kärlkirurg, sårsköterska, ortopedingenjör, gipstekniker, fotterapeut och sjukgymnast.
Podiatern en resurs
Mitt intryck är att ortopedin i Sverige skulle vinna på att vi tog vara på de podiatrar som gått utbildningen och såg dem som en resurs i diabetesfotteamen. Behovet av denna kompetens inom vården kan vara underskattad. Podiatrar skulle hos oss - precis som i Storbritannien - kunna vara en länk mellan konservativ och kirurgisk behandling av diabetesfötter. Grundtanken med utbildningen var från början just att de skulle ha denna koordinatorsroll. Förmodligen skulle det vara lättare att rekrytera ortopeder om de fick ägna sitt huvudsakliga arbete åt de komplicerade och mer operationskrävande fallen.
Eftersom det sannolikt tar flera år att upparbeta den kliniska blick som krävs i arbetet med diabetesfötter är det viktigt att tidigt bestämma sig för om podiatrarna skall ingå i våra diabetesfotteam. Man bör snabbt agera med lämplig tjänstetillsättning. Annars försvinner resursen till någon annan vårdform.
Våra ortopedtekniska insatser håller i Sverige en till synes hög standard och vi ligger långt framme när det gäller profylaktisk sjukgymnastik för diabetespatienter. Här tycks vi kunna klara compliance hos patienterna bättre än i Storbritannien. Det är ett arbete som måste utvecklas vidare i form av lämpliga vårdprogram.
MARTin ÅLUnD överläkare, Sahlgrenska Universitetssjukhuset, Område Ortopedi, Mölndal
Fotsår hos diabetiker registreras i Nationella Diabetesregistret med variabeln ”pågående allvarlig fotsjukdom” under ”Riskkategori”. Däremot saknas uppgifter om behandling och uppföljning fram till sårläkning eller negativ klinisk händelse, som amputation eller död.
I RiksSår finns dessa data kopplade till patientens ålder, kön, sårets duration, storlek och lokalisation, smärta, antibiotikabehandlad sårinfektion, eventuell arteriell insufficiens, rökning samt livsstilsfrågor såsom fysisk aktivitet.
Av
IBlekinge finns lång erfarenhet av att registrera diabetesfotsår i RiksSår, som är ett nationellt kvalitetsregister för svårläkta sår (www.rikssår. se). Bakgrunden till RiksSår är ett avhandlingsarbete om sårbehandling i primärvården med speciellt fokus på hudtransplantationer. Utifrån denna forskning bildades år 2003 Sårcentrum Blekinge, som är en primärvårdsbaserad, läkarledd specialenhet för diagnostik, behandling och uppföljning av patienter med svårläkta sår i länet. Sårcentrum står utanför hälsovalet och verksamheten drivs och finansieras av landstinget Blekinge.
Vi har visat att noggrann diagnostik och förbättrad behandling leder till sjunkande prevalens av svårläkta sår, kortare behandlingstider och betydande kostnadsreduktion med en halvering av de årliga kostnaderna under en tioårsperiod i Blekinge.
Varje år behandlas något fler än 250 patienter på Sårcentrum, där alla nybesök registreras i RiksSår. Majoriteten av patienterna är multisjuka med tre eller fler diagnoser med en med-
elålder på 72 år. En femtedel av patienterna har diabetes. De sårenkäter, som besvarats kontinuerligt sedan 1986 i Blekinge har visat att andelen diabetesfotsår i länet har ökat från 6 procent (1986) till 15 procent 2011. Dagliga inspektioner av fötter ingår som ett led i prevention av fotsår. Denna egenvård kan vara svår att genomföra för äldre med nedsatt syn och rörlighet.
Trots gott omhändertagande ser vi således en ökning av diabetesfotsår i och med en ökande äldre befolkning.
Diabetesfotsår
Prevalensen fotsår vid diabetes i västvärlden anges upp till tio procent och uppskattningsvis en tredjedel av samhällets totala kostnader för diabetes i olika länder hänförs till fotkomplikationer.
Den viktigaste predisponerande faktorn för utveckling av fotsår hos diabetiker är polyneuropati tillsammans med fotdeformiteter och yttre våld medan den viktigaste riskfaktorn för
amputation och fördröjd sårläkning är förekomst av perifer kärlsjukdom.
Då behandlingen av fotsår vid diabetes är komplicerad, förutsätts tillgång till ett multidisciplinärt team, som kan åtgärda nedsatt cirkulation, ge prevention och behandling av infektion, god metabolisk kontroll och nutrition, ortopedteknisk behandling, lokal sårbehandling, avlägsnande av ödem, smärtlindring, fotkirurgi för korrektion av deformiteter och avlägsnande av devitaliserad vävnad.
Av samtliga amputationer i nedre extremiteterna, exklusive trauma och malign sjukdom, genomförs hälften på individer med diagnosen diabetes.
Risk för osteomyelit hos patienter med diabetesfotsår med infektion och samtidigt nedsatt perifer cirkulation är fyra gånger högre än hos diabetiker med fotsår men utan dessa komplikationer.
Kan samarbete mellan NDR och RiksSår minska frekvensen amputationer hos patienter med diabetesfotsår?
Det nationella diabetesregistret NDR star-
60-årig man med insulinbehandlad diabetes, amputation av höger ben pga kritisk ischemi. nu svårläkta sår sedan 4 månader efter att ha trillat ut sängen.

lad sårinfektion, eventuell arteriell insufficiens, rökning samt livsstilsfrågor såsom fysisk aktivitet. Med dessa uppgifter kan vi få fram sårläkningstid och vårdtyngd, uppföljning av antibiotikabehandling och smärta.
Vissa variabler är gemensamma för de båda registren som BMI, rökning, nedsatt känsel i fötterna, HbA1c och annan samsjuklighet.
Nu finns det planer på ett mer ingående samarbete mellan de två registren. En koppling där RiksSårs data länkas till NDR kan bereda patienter med diabetes och svårläkta sår snabbare och mer strukturerad vård och därmed minska såväl lidande för patienten som kostnader för sjukvården.

Sårläkning efter 6 veckor med kompression på svullna sårkanter och polyuretanskumförband.
tades 1996 och ingår nu i Registercentrum i Västra Götaland. Registret genererar utvalda resultatmått inom den kliniska diabetologins profilområden som bland annat rökning, förekomst av allvarlig fotkomplikation och grad av fysisk aktivitet. NDR har mycket god kontroll av fotstatus med cirka 90 procents rapporteringsfrekvens inom både primärvård och vid medicinkliniker i hela riket.
Fotsår hos diabetiker registreras i NDR med variabeln ”pågående allvarlig fotsjukdom” under ”Riskkategori”. Däremot saknas uppgifter om behandling och uppföljning fram till sårläkning eller negativ klinisk händelse, som amputation eller död.
I RiksSår finns dessa data kopplade till patientens ålder, kön, sårets duration, storlek och lokalisation, smärta, antibiotikabehand-
Fokus på livskvalitet och hälsoekonomi
Landstinget Blekinge kommer att vara pilot i ett forskningsprojekt rörande diabetesfotsår, där kopplingen mellan de båda registren RiksSår och NDR är central. Syftet med pilotprojektet är att fokusera på livskvalitet och hälsoekonomi, där uppföljningsdata från RiksSår framför allt när det gäller negativ klinisk händelse kan användas för att beräkna resursanvändning och kostnader med nuvarande be-
I forskargruppen ingår, förutom de båda registerhållarna Soffia Gudbjörnsdóttir och Rut F Öien, hälsoekonom, med dr, Gunnel Ragnarson Tennvall, IHE, Lund, docent Jan Apelqvist, Diabetesfotcentrum, Skånes Universitetssjukhus (SUS), Malmö, professor Gunnar Kahlmeter, avdelningen för klinisk mikrobiologi, Växjö och ST-läkare i klinisk bakteriologi och virologi Charlotta Karlsson, Växjö.
Hälsoekonomi
e komplikationer som kan uppstå vid fotsår hos diabetespatienter och i förlängningen reducera antalet amputationer skulle innebära betydande vinster för den enskilde patienten och för sjukvården i stort.
I Gunnel Ragnarsson-Tennvalls avhandling ”The Diabetic Foot – costs, health economic aspects, prevention and quality of life” från år 2000 fann man bland annat att patienter med pågående fotsår hade lägre hälsorelaterad livskvalitet än hos patienter vars sår hade läkt. De fotsårspatienter som hade genomgått amputation hade också låg hälsorelaterad livskvalitet.

Omläggningar tre gånger i veckan hos såransvarig sjuksköterska. Behandling med iodosorb har efter 6 veckor gett god effekt på sårläkningen med krympande såryta.
inriktad på studier av personer med diabetes och fotkomplikationer, har publicerat resultat om behandlingskostnader i olika europeiska länder.

för att behandla fotsår hos patienter med både kärlsjukdom och infektion är fyra gånger högre än för patienter med fotsår utan dessa komplikationer.
Hälsoekonomiska konsekvensanalyser främst avseende negativa kliniska händelser tation.
Att använda kvalitetsregister i samarbete för en utsatt patientgrupp som diabetiker med fotsår för att analysera sårläkningstider, vårdtyngd och livskvalité känns som ett steg framåt.
SOFFiA GUDBJÖRnSDóTTiR docent, registerhållare för NDR RUT F Öien distriktsläkare, med dr, registerhållare för RiksSår

Beställ vår nya katalog «Bracing & Support» med många nya produkter på info.nordic@djoglobal.com eller direkt av din produktspecialist.



Aircast Air-Stirrup II
Denna ankelortos finns nu i en ny och förbättrad variant. Den är perfekt till patienter med akuta stukningar eller postoperativt. Duplex™ Aircell systemet förbättrar cirkulationen och minskar svullnaden genom att mjölka ur ödem, snabba på läkeprocessen och bidra till en snabb rehabilitering.
DonJoy FullForce
DonJoy FullForce är lätt, diskret och enkel att bära. Perfekt för den aktiva människan, lättare sportaktiviteter, och allmänna dagliga göromål. FullForce™ nyttjar DonJoys patenterade 4-Points-of-Leverage-design och den smidiga Fourcepoint hinge-designen.

Bracing & supports



Procare Square Darco™ Orthowedge

Den nya postoperativa skon med fyrkantig tådel hjälper förband att hållas rena och erbjuder skydd efter postoperativa procedurer och framfotstrauma.












Beställ också vår DiaBeteskatalog!







Johan Ström
Mobil 0706-50 91 41
Gävleborg, Västernorrland, Jämtland, Västerbotten, Norrbotten

KONTAKTA DIN PRODUKTSPECIALIST:

Caroline Andersson
Mobil 0761-30 57 70
Dalarna, Värmland, Västmanland, Södermanland, Östergötland, Gotland

Helene Garpefors
Mobil 0730-43 70 20
Stockholm (söderort+norrort), Uppsala

Therese Stenlund
Mobil 0703-35 13 41
Stockholm (västerort + innerstan), Örebro

Kim Forsell
Mobil 0702-09 71 19
Västra Götaland, Halland, Kronoberg, Jönköping




Florin
Mobil 0702-20 24 64
Blekinge, Kalmar, Skåne

exempel på multiplace tryckkammare med möjlighet till samtidig behandling av 6 sittande patienter.
Under de senaste 50 åren har hyperbar oxygenbehandling (HBO) rekommenderats och använts vid ett stort antal medicinska tillstånd, ofta utan att vare sig effekt eller säkerhet haft tillräcklig vetenskaplig dokumentation. Behandlingsmetoden betraktas därför med rätta med misstroende av många.
Under de senaste tjugo åren och framförallt under det senaste decenniet, har kunskapen om såväl behandlingseffekter som möjliga verkningsmekanismer ökat, varför en uppdatering om kunskapsläget är på sin plats. Denna sammanställning syftar till att diskutera effekten av HBO som tilläggsbehandling av diabetesrelaterade fotsår.
Av Magnus Löndahl
Formatet är övergripande och för mer genomträngande analys hänvisas till annan litteratur.
HBO innebär per definition att en patient andas syrgas vid ett tryck som överstiger 1 absolut atmosfär (ATA), dvs trycket vid havsytan. Vid behandling av diabetesrelaterade fotsår används ofta 2,0-2,5 ATA. För att uppnå dessa tryck, som motsvarar trycket vid 10 – 15 me-
ter havsdjup, används tryckkammare. I kliniskt bruk finns såväl mono- som multiplace-kammare tillgängliga. De senare är vanligen rumskonstruktioner i vilka flera patienter kan sitta eller ligga, medan monokammare omsluter en liggande patient. I de flesta fall tillförs, på grund av ökad brandrisk, syrgas via tättslutande mask. En behandlingssession har vanligen
en duration om 1,5 till 2 timmar. Vid behandling av diabetesrelaterade fotsår eftersträvas vanligen en behandlingsserie om åtminstone 40 behandlingssessioner.
Absoluta kontraindikationer utgörs endast av pneumothorax och behandling med vissa cytostatika, medan kronisk obstruktiv lungsjukdom med emfysemutveckling, sinuit, övre luftvägsinfektion, feber och graviditet utgör relativa kontraindikationer.
Merparten av behandlingsrelaterade biverkningar härrör till svårigheter att tryckutjämna. Vanligaste är barotrauma i mellanörat med skada på trumhinnan som följd, med teoretisk kan tryckskador uppkomma i alla luftförande organ. Lungkontusion till följd av barotrauma är en allvarlig , men dessbättre ovanlig komplikation. Patienter med diabetes löper ökad risk att drabbas av hypoglykemi i samband med tryckkammarbehandling. Förekomsten av syrgas-kramper, en obehaglig, mytomspunnen och ofarlig komplikation, är låg.
Behandlingsrational
En individ som andas luft vid havsytan har ca 3 ml syrgas löst i varje liter plasma. Om personen börjar andas syrgas ökar mängden löst syrgas i plasma till ca 20 ml. Under HBO med 2.5 ATA nästan tredubblas syrgaskoncentrationen till 56 ml per liter. Den kraftiga ökningen i syrgaskoncentration medför bland annat att diffusionsavståndet från kapillärer ökar och akut vävnadsischemi därmed kan hävas. I och med det förbättras möjligheten till såväl fagocytos som leukocyters produktion av fria radikaler. Efter upprepade behandlingar kan HBO leda till såväl ökad angiogenes som vasculogenes, inte minst genom mobilisering av stamceller från benmärgen. Dessa processer medför ytterligare förbättrad lokal syresättning, ökad fibroblastaktivering, kollagendeponering och epitelisering. Dessa påståenden är alla vetenskapligt välgrundade.
Genom åren har ett flertal publikationermestadels i form av fallserier – indikerat, om än inte bevisat gynnsam effekt av HBO i termer av ökad sårläkning eller minskad amputationsförekomst. 1996 publicerade Faglia och medarbetare resultatet av en randomiserad kontrollerad studie i vilken, HBO minskade förekomsten av underbensamputationer från 33% i kontrollgruppen till 9% i HBO gruppen. Noterbart är att de inkluderade patienterna hade djupa sår, hög förekomst av infektion och perifer kärlsjukdom samt att samtliga patienter vårdades inneliggande på sjukhus under hela behandlingsperioden fram till läkning eller amputation. Studien har kritiserats för
vissa tveksamheter kring randomisering och blindningsförfaranden samt hög förekomst av kärlkirurgisk intervention efter randomiseringen. Detta beaktat utgör studien ändå bas för Cochrane gruppens rekommendation att HBO kan rekommenderas som tilläggsbehandling vid djupa diabetesrelaterade fotsår om tryckkammare finns tillgänglig. 2003 publicerade Abidia och medarbetare den första randomiserade, dubbel-blindade placebo-kontrollerade studien som utvärderade effekten av HBO hos patienter med diabetes och fotsår. Arton patienter med Wagner grad 1 eller 2 sår med minst 6 veckors duration inkluderades. Vid ett-års uppföljningen förelåg signifikant högre läkning i HBO-gruppen. Denna studie följdes 2010 av den svenska HODFUstudien som inkluderade 94 patienter med diabetesrelaterade fotsår med minst tre månaders duration samt avsaknad av behov eller möjlighet till kärlkirurgisk intervention i den aktuella extremiteten. Denna studie kunde inte påvisa någon skillnad i amputationsförekomst under det första uppföljningsåret, däremot förelåg dubblerad sårläkningsförekomst (61 vs 27%) i den patientgrupp som behandlats med HBO. Dessa två studier utgör basen för att HBO lyfts fram som en möjlig tilläggsbehandling hos ett selektat av patienter med diabetesrelaterade fotsår.
Hälsoekonomin oklar
Dock återstår fortsatt flertalet obesvarade frågeställningar. Det föreligger ett fåtal hälsoekonomiska publikationer inom området. De indikerar alla att HBO är hälsoekonomiskt fördelaktig trots initial hög behandlingskostnad, men de är, möjligen undantaget en enklare hälsoekonomisk analys av Abidias studie, baserade på tveksamt kontrollerade patientmaterial. Då behandlingen är kostsam är ytterligare kunskap om vilka patienter som svarar gynnsamt på behandling av stort värde liksom information om när i behandlingsförloppet HBO kan göra mest nytta. Det pågår idag åtminstone ytterligare en randomiserad, placebo-kontrollerad studie och förhoppnings kommer denna, liksom ytterligare analyser från HODFU-studien att kunna besvara en del av dessa frågor.
Olika regioner, olika behandling
Behandlingsrekommendationerna beträffande nyttjande av HBO som tillägg till behandling inom ramen för multidiciplinärt diabetesfotteam vid kroniska diabetesrelaterade fotsår varierar i landet. Inom en del regioner har
HODFU-studiens resultat och internationella guidelines medfört att HBO rekommenderas för vissa väldefinerade grupper av patienter med kroniska diabetesfotsår, medan man i andra delar av landet följer Socialstyrelsens Nationella riktlinjer för diabetesvården från 2010, i vilka HBO inte rekommenderas utanför forskningsverksamhet.
MAGnUS LÖnDAHL
överläkare, med dr, Endokrinologiska Kliniken, Skånes Universitetssjukhus, Lund
Referenser
1. Berendt AR. Counterpoint: hyperbaric oxygen for diabetic foot wounds is not effective. Clin Infect Dis. 2006; 43(2): 193-8.
2. Londahl M, Fagher K, Katzman P. What is the Role of Hyperbaric Oxygen in the Management of Diabetic Foot Disease? Curr Diab Rep. 2011; 11(4): 285-93.
3. Game FL, Hinchliffe RJ, Apelqvist J, Armstrong DG, Bakker K, Hartemann A, et al. Specific guidelines on wound and wound-bed management 2011. Diabetes Metab Res Rev. 2012; 28 Suppl 1: 232-3.
4. Lipsky BA, Berendt AR. Hyperbaric oxygen therapy for diabetic foot wounds: has hope hurdled hype? Diabetes care. 2010; 33(5): 1143-5.
5. Faglia E, Favales F, Aldeghi A, Calia P, Quarantiello A, Oriani G, et al. Adjunctive systemic hyperbaric oxygen therapy in treatment of severe prevalently ischemic diabetic foot ulcer. A randomized study. Diabetes care. 1996; 19(12): 1338-43.
6. Kranke P, Bennett M, Roeckl-Wiedmann I, Debus S. Hyperbaric oxygen therapy for chronic wounds. Cochrane Database Syst Rev. 2004; (2): CD004123.
7. Abidia A, Laden G, Kuhan G, Johnson BF, Wilkinson AR, Renwick PM, et al. The role of hyperbaric oxygen therapy in ischaemic diabetic lower extremity ulcers: a double-blind randomised-controlled trial. Eur J Vasc Endovasc Surg. 2003; 25(6): 513-8.
8. Londahl M, Katzman P, Nilsson A, Hammarlund C. Hyperbaric oxygen therapy facilitates healing of chronic foot ulcers in patients with diabetes. Diabetes care. 2010; 33(5): 9981003.
9. Londahl M, Katzman P, Nilsson A, Hammarlund C. Response to comment on: Londahl et al. Hyperbaric oxygen therapy facilitates healing of chronic foot ulcers in patients with diabetes. Diabetes Care 2010;33:998-1003. Diabetes care. 2011; 34(6): e112.
10. Nationella riktlinjer för diabetesvården 2010: Socialstyrelsen; 2010.

Aktivgruppen, tillsammans med OT-center, har sedan hösten 2010 en typ av traineeutbildning där varje ortopedteknisk avdelning arrangerar kurser för nyutbildade, vilket är ett sätt att få fördjupad kunskap och praktiska tips inom en rad områden.
Den 7-8 november 2011 var det Aktiv ortopedteknik i Ängelholms tur att arrangera kursen ”diabetesfoten och andra kärlsjukdomar”. Ett viktigt ämnesområde eftersom vi ortopedingenjörer träffar denna patientgrupp dagligen vid försörjning av allt ifrån inlägg till ortoser.
Av Josefin Fridlund
Vi var tolv ortopedingenjörer, från Östersund i norr till Malmö i söder, som träffades på anrika Klitterhus, på stranden till Skälderviken.
Diabetologen Anders Nilsson var först ut med ”socialstyrelsens nationella riktlinjer för diabetesvården 2010”. Anders har suttit med i
prioriteringsgruppen där de delat in olika åtgärder med en prioriteringssiffra. 1 har högst prioritering och 10 lägst. Att ha ett multidisciplinärt team tillhör prioritering 1, medan att rutinmässigt göra ögonbotten fotografering vartannat år vid typ 2 diabetes, utan ögonbottensjukdom, har prioritet 10. Som ortopeding-
enjör ingår man i det multidisciplinära teamet och några av våra åtgärder är högt prioriterade, trots att det saknas vetenskaplig evidens. Många av våra åtgärder görs med ”beprövad erfarenhet”.
Bristen på vetenskaplig evidens röd tråd
Bristen på vetenskaplig evidens för våra ortopedtekniska lösningar var en röd tråd under kursen. Eftersom Aktivgruppen under hösten 2011 har anställt en projektledare, Lousie Klevbo CPO, MSc, för +AdAktiv forskning, så passade vi på att diskutera kommande forskningsprojekt inom området för ortopedteknik. Behovet av evidens ökar och vi behöver ta fram bevis för att det vi gör faktiskt fungerar. I februari 2012 kommer det därför att anordnas en träff för ortopedingenjörer som vill starta olika forskningsprojekt.
Delfotsamputationer
Vi lyssnade även till ortopeden Bengt Sturessons föreläsning om delfotsamputationer.
Som ortoped eftersträvar han att amputera så lite som möjligt av patientens ben. Bengt kom även med värdefulla tips inför kommande forskningsprojekt.
Även andra yrkesgrupper som ingår i det multidisciplinära teamet förläste. Diabetessjuksköterskan Gerd Gustavsson talade om hennes roll i teamet där hon har en sammanlänkande funktion och mycket kontakt med patienten. Fotvårdaren Kristina Dahl visade olika förbandsmaterial.
Ingenjörens roll i fotteamet
Dag 2 var inriktad på praktiska lösningar och såravlastningar. Ralph Noack, ortopedingenjör i Ängelholm, talade om ortopedingenjörens roll i fotteamet.
Ralph, med många års erfarenhet av detta, informerade bl.a. om vikten av att vara väl förberedd vid teamträffarna.
Ralph talade även om behandlingsskon, avlastningsteori och betydelsen av att undersöka vart foten hamnar på inlägget i skon. Detta för att se att avlastningarna man gör hamnar på rätt ställe.
I svårare fall, då ej behandlingsskon är tillräcklig, går man i vissa fall över till formgjutna ortoser. Detta var något som Erik Axelsson, ortopedingenjör på Aktiv ortopedteknik I Karlstad, talade om. I augusti var Erik på en kurs, preserving the diabetic foot, som Klaveness academy bjöd in till. Erik sammanfattade kursen för oss.
Såravlastningar
Bo Jönsson och Mikael Petersson, ortopedingenjörer på Aktiv Ortopedteknik i Ängelholm, delade med sig av sina erfarenheter från att sitta i fotteam och jobba med diabetiker och visade olika lösningar för såravlastningar.
Sammanfattningsvis var det två bra dagar med ett gott diskussionsklimat, god mat och dopp i Skälderviken!
JOSeFin FRiDLUnD leg. ortopedingenjör, Aktiv Ortopedteknik Ängelholm
RALPH nOAcK ortopedingenjör, Aktiv Ortopedteknik, Ängelholm, foto

Limedic AB, box3035, 18303 Täby
Tel:08-7567110 Fax:08-7326938
E-mail: info@limedic.se, sivert.lodesjo@telia.com
Det övergripande målet med avhandlingen, som heter ”Treatmant of displaced proximal humeral fractures in elderly patients”, var att utvärdera resultatet efter behandling av 2-, 3-, och 4-fragments frakturer i proximala humerus hos relativt friska, äldre patienter. Avhanlingen försvarad vid KI-SöS 2011-10-06.
Av Per Olerud
Proximala humerusfrakturer utgör c:a 6% av alla frakturer. Frakturen är den tredje vanligaste frakturen hos äldre patienter, efter höft- och handledsfrakturer. Incidensen är i dag c:a 250/100 000 och år. 80% av patienterna utgörs av kvinnor.
75-80% av frakturerna klassificeras som odislocerade. Behandlingen av dessa är helt okontroversiell; de skall behandlas icke-kirurgiskt med en kort period med immobilisering följd av aktiv sjukgymnastik.
De övriga, dislocerade frakturerna indelas efter svårighetsgrad enligt Neer’s klassifikation. Proximala humerus fraktureras relativt reproducerbart i 2-, 3-, eller 4 delar; caput, diafys samt tuberculum majus och minus. 2-fragmentsfrakturerna utgör c:a 15%, 3-fragments c:a 10% och 4-fragments c:a 3% av det totala antalet frakturer.
Behandlingen av dessa är fortfarande kontroversiell, speciellt hos äldre patienter med osteoporos. Att inte behandla kirurgiskt ger ofta avsevärda felställningar med försämrad funktion som resultat, att behandla kirurgiskt ger ofta frakturhaveri p.g.a osteosynteslossning. På senare år har de s.k. vinkelstabila plattorna utvecklats. Dessa ger, åtminstone teoretiskt, ett bättre fäste i osteoporotiskt ben. 2- och 3-fragmentsfrakturer behandlas allt vanligare med dessa moderna vinkelstabila plattor. För de mer splittrade 4-fragments-frakturerna, med större risk för avaskulär nekros, har halvplastik blivit en allmänt accepterad behandlingsmetod.
I avhandlingen redovisas 4 studier, en för varje grupp i Neer’s klassifikationssystem samt en studie där ett av utvärderingsinstrumenten, EQ-5D, testades avseende sin responsiveness. Utvärderingen gjordes genom att mäta patien-
ternas smärta med en VAS-skala, samt att mäta axelledens rörelseomfång (ROM). Vidare användes 2 scorer, Constant’s score och DASH-score samt EQ-5D vilket är ett instrument som mäter patienternas hälsorelaterade livskvalitet. I den 4:de studien validerades EQ-5D på denna patientgrupp.
Den första studien visar att den vinkelstabila plattan tycks vara ett bra behandlingsalterna tiv för dislocerade 2-fragmentsfrakturer hos äldre patienter. Antalet reoperationer är dock relativt högt, 16%. Detta ligger dock i nivå med de flesta tidigare studier. Vi kunde identifiera 4 olika orsaker till reoperation; 1/Suboptimal placering av plattan – oftast för högt 2/Sekun där dislokation av frakturen 3/Nonunion 4/In fektion. Genom att vara mycket noga med den kirurgiska tekniken, uppnå primär stabilitet i frakturen samt undvika penetration av skruv spetsarna in i leden, kan man dock minska re operationsfrekvensen.
Nästa studie visar att den dislocerade 3-frag mentsfrakturen behandlad med en vinkelstabil platta ger en bättre livskvalitet och ett bättre funktionellt resultat jämfört med icke-kirur gisk behandling. Skillnaden var dock inte sig nifikant. Den huvudsakliga förbättringen tycks vara ett förbättrat rörelseomfång. Dock föreligger, trots en modern kirurgisk teknik och gott primärt repositionsläge, ändå en reoperationsfrekvens på 30% i den kirurgiskt behandlade gruppen.
rationen utfördes av en inom området erfaren operatör. Å andra sidan; det förhållandevis acceptabla resultatet och begränsade behovet av sen kirurgisk behandling i de konservativt behandlade grupperna indikerar att icke-kirurgisk behandling sannolikt är tillräcklig för de allra äldsta patienterna med lägre krav på

outcome after a 2-part proximal humeral fracture: a prospective cohort study on 50 patients treated with a locking plate. J Shoulder Elbow Surg 2010; 19:814-22.
I den sista gruppen, 4-fragmentsfrakturerna, fann vi en signifikant förbättring i den hälsorelaterade livskvaliteten hos de patienter vilka fick sin fraktur opererad med hemiartroplastik jämfört med de icke kirurgiskt behandlade patienterna. Här var dock rörelseomfånget lika medan protesgruppen hade mindre smärta.
Slutsatsen i avhandlingen blir att den förbättring som man kan notera både i funktion och hälsorelaterad livskvalitet efter kirurgisk behandling balanserad mot det besvär och den risk för komplikationer det innebär att bli opererad, sannolikt är rättfärdigad hos en äldre, förhållandevis frisk person och om ope-
Olerud P, Ahrengart L, Ponzer S, Saving J, Tidermark J. Internal fixation versus nonoperative treatment of displaced 3-part proximal humeral fractures in elderly patients: a randomized controlled trial. J Shoulder Elbow Surg 2011; 20:747-55.
Olerud P, Ahrengart L, Ponzer S, Saving J, Tidermark J. Hemiarthroplasty versus nonoperative treatment of displaced 4-part proximal humeral fractures in elderly patients: a randomized controlled trial. J Shoulder Elbow Surg 2011; 20:1025-33.
Olerud P, Tidermark J, Ponzer S, Ahrengart L, Bergstrom G. Responsiveness of the EQ-5D in patients with proximal humeral fractures. J Shoulder Elbow Surg 2011; 20:1200-6.

Att inte behöva uppleva smärta måste väl vara underbart. Eller? – En boxare som inte kan känna smärta måste väl vara oslagbar, frågar Erika Berger i Flickan som lekte med elden, den andra boken i Millenietrilogin av Stieg Larsson. – Tvärtom, svarar Paolo Roberto, det är en närmast livshotande sjukdom. De flesta som har kongenital analgesi dör relativt unga i 20-25-årsåldern.
SAv Anders Wykman och Per Magnusson amtalet handlar om en blond, brutal jätte, ett monster på två ben som har ett genetiskt fel som innebär att transmittorsubstansen i nervsynapserna inte fungerar som den ska. Han upplever inte smärta. Det rör sig om Lisbeth Salanders halvbror, Ronald Niedermann. De har gemensam pappa, Alexander Zalachenko. Tillsammans försöker dessa båda herrar brutalt dräpa Lisbeth, men hon överlever på ett närmast övernaturligt sätt och kan så småningom ta ut sin gruvliga hämnd i den sista boken i trilogin, Luftslottet som sprängdes.
Hur fick Stieg Larsson idén att låta en av huvudpersonerna i sin Millenietrilogi sakna

vittangi i nordligaste Sverige (inringat). Storsien markerat i rött i kartans nederkant. Röntgenbilder på och infällt foto av 13-årig pojke med homozygot HSAn. Från Jan Mindus avhandling.
förmågan att känna smärta? I Sverige förekommer faktiskt personer med denna defekt som kallas Hereditär Sensorisk Autosomal Neuropati (HSAN). Den är uppdelad i fem olika typer där den typ som beskrivits i Sverige är av typ V. Det finns många mutationer som tillskrivits sjukdomen och Norrlandsfallen har en punktmutation i N GFB-anlaget.
Ursprunget finskt?
Dessa personer med ursprung i Vittangi i Tornedalen drabbas av frakturer och andra destruktiva skador i framför allt leder och får kontakt med sjukvården först när deformering
och felställningar ger problem i det dagliga livet. Bärare av genen för Vittangisjukan kommer troligen från södra Finland.
Innan sjukdomen hade studerats kallades dessa krokiga skånkar för Kemi- eller Lahtiben efter ättlingar till Vittangigrundaren Hindrich Mikkelson Kyrö. Enligt Tornedalens historia vet man att han var den förste nybyggaren som på 1600-talet tog sig uppströms från Pello längs Torneälven för att slå ned sina bopålar i det som senare skulle kallas Vittangi, just i sammanflödet mellan Torne älv och Lainoälven. Här var väglöst land så vattenstråken var de leder som var minst strapatsfyllda att följa. Man tror att den höga förekomsten av genetis-



ka sjukdomar i denna landsdel beror på den så kallade Founder-effekten, en gen i en begränsad population som har fått en ökad omfattning på grund av in- och utflyttning.
Nociceptiv smärta är en positiv skyddsmekanism
Jan Minde, ortoped i Gällivare, är en av de som undersökt och beskrivit en grupp patienter med HSAN. Drygt 60 individer är studerade varav tre stycken har en homozygot form av sjukdomen, den form som mest liknar Ronald Niedermanns tillstånd.
Smärtokänsligheten beror på en minskning
av omyeliniserade C-fibrer och en viss förlust av tunna myeliniserade A-deltafibrer. Detta påverkar smärt- och temperatursignaler. I den homozygota formen ses en tidig debut drabbande framför allt nedre extremiteter med smärtfria frakturer, progressiv ledsvullnad, progressiv artropati och i slutstadiet Charcotleder och andra deformiteter - men normal frakturläkning.
Personer med denna form saknar smärtförnimmelser från leder och skelett, saknar skyddsreflexer, har nedsatt temperaturkänsel men har normal svettning och normal mental utveckling.
Den heterozygota formen är av betydligt lindrigare grad, men även dessa patienter har en stor del ortopediska besvär i form av ledbesvär och artrosutveckling, vanligast i knä- och fotleder.
De flesta har kunnat behandlas konservativtmed ortoser och avlastning, men i vissa fall har man behövt göra artrodeser och i sällsynta fall ledplastiker. Karpaltunnelsyndrom är vanligare inom denna grupp jämfört med normalpopulationen. Självskadebeteenden är inte heller ovanligt bland dessa barn och tonåringar. Personer med den heterozygota formen av HSAN har normal temperaturkänsel och nedsatt, men inte avsaknad av, smärtkänsla.
Arbetsläger gav idén?
Hur fick då Stieg Larsson idén till Ronald Niedermanns tillstånd vilket har en central betydelse för spänningen och utvecklingen i den senare delen av Millenietrilogin?
Stieg Larsson föddes i Västerbottens län 1954. Föräldrarna var 19 år när Stieg föddes. Pappan, Erland Larsson, var tecknare på Västerbottens-Kuriren.
De unga föräldrarna hade inte själva möjlighet att försörja barnet, varför han till största delen uppfostrades av sina morföräldrar i Måggliden nära byn Bjursele (som beskrivs i Män som hatar kvinnor, den första boken i Milennietrilogin) mellan Norsjö och Bastuträsk, 10 mil norr om Umeå. Där bodde han under sina första nio år fram till morfaderns död.
Den manliga förebilden för unge Stieg blev hans morfar, Severin Boström. Severin sympatiserade starkt med den antifascistiska rörelsen och hölls under andra världskriget internerad i ett arbetsläger i Storsien i Kalix kommun i Norrbotten, cirka 30 mil söder om Vittangi, för sina antinazistiska åsikter. Under en tid satt

alltså morfadern Severin internerad i denna by mellan Kalix och Överkalix.
Fanns här kanske även personer från Vittangi som inte låg långt därifrån – med norrländska mått mätt?
Åsiktsregistrering och angiveri
Internering, arbetsläger – fanns detta i Sverige? Bakgrunden var att de personer man inom militären uppfattade som samhällsfarliga och eventuellt landsförrädiska element skulle avtjäna sin lagstadgade beredskapstjänstgöring i enlighet med andra medborgare, men utan vapen i hand och utan att hota den militära disciplinen. Arbetskompanierna låg isolerade och de värnpliktiga fick inte bära vapen.
Under andra världskriget inkallades i Sverige mellan 600 och 700 värnpliktiga män till tjänstgöring i arbetstrupperna och inkvarterades i särskilda läger. Interneringen baserades på uppgifter från säkerhetspolitisk underrättelsetjänst, civil övervakning, åsiktsregistrering och angiveri.
I Storsien, där Stieg Larsson morfar internerades, arbetade 300-370 värnpliktiga med ett vägbygge 1939-1940.
I den sentida politiska debatten har dessa läger betraktas som interneringsläger och tjänstgöringen enligt värnpliktslagen som internering. De flesta som inkallades till dessa läger var kommunister, men där fanns också radikala socialdemokrater, syndikalister, fackföreningsfolk, så kallade Englandsvänner och andra som klassades som “opålitliga element”. Även s.k. indisciplinärer, dvs värnpliktiga som gjort sig skyldiga till disciplinbrott förvarades i lägren. Den formella benämningen av lägren var i de flesta fall arbetskompanier.
Morfars öde - och en våldtäkt
Morfaderns bakgrund hade stor inverkan på Stieg. Han ville arbeta för jämställdhet och kämpa för demokrati och yttrandefrihet för att förhindra att historien och morfaderns öde upprepades.
Kurdo Baksi berättar i sin bok ”Min vän Stieg Larsson” hur den femtonårige Stieg 1969 såg tre vänner våldta en flicka i hans egen ålder på en campingplats i Umeå. Han vågade inte ingripa och ringde senare flickan för att be flickan om ursäkt, men hon sade att hon aldrig kunde förlåta honom. Ett plågsamt minne som formade hans skrivande om kvinnovåld.
Morfar berättade om Vittangisjukan?
Det är väl inte otänkbart att morfadern, Severin Boström, under sina tid som internerad i Tornedalen i ”närheten” av Vittangi hörde talas om den ovanliga egenskapen i vissa släkter i dessa trakter att inte förnimma smärta eller rentav träffade någon person med Kyröben. Sannolikt har morfadern i så fall senare berättat om detta för barnbarnet någon vinterkväll vid brasan under de nio år Stieg bodde hos Boströms.
I böckerna är visserligen inte Lisbeth Salanders halvbror från Sverige eller ännu mindre från Vittangi, men idén om smärtokänslighet kom kanske från uppväxten hos morfadern. Lisbeths och Ronald Niedermanns far, Alexander Salachenko, var från Ryssland och Ronalds mor sägs ha varit en tysk kvinna.
Ronalds defekt blev till slut hans öde. Utan att reagera nämnvärt blir han nämligen överraskad av Lisbeth Salander som med hjälp av en spikpistol fixerar hans fötter i golvet. Fjättrad och oförmögen att fly möter han så slutligen sin baneman i en spektakulär mordbrand.
- Att inte behöva uppleva smärta måste väl vara underbart. Eller? Nog verkar det mest vara till bekymmer – inte minst blev det så för Lisbeth Salanders bror.
AnDeRS WyKMAn docent, överläkare, Helsingborgs lasarett PeR MAGnUSSOn specialistläkare, Helsingborgs lasarett
Referenser
Minde, Jan. K.: Norrbottnian congenital insensitivity to pain. Avhandling, Umeå, 2006
Larsson, Stieg: Män som hatar kvinnor, Norstedts, 2005
Larsson, Stieg: Flickan som lekte med elden Norstedts, 2006
Larsson, Stieg: Luftslottet som sprängdes Norstedts, 2007
Baksi, Kurdo: Min vän Stieg Larsson, Norstedts, 2010
Den 19-20 januari samlades Patientsäkerhetskommittén i Stockholm. Kommittén bildades för 4 år sedan i Halmstad på initiativ av Olle Svensson och Göran Magyar. Sedan dess har tre stora lyckosamma projekt sjösatts där kommittén har varit bidragande: PRISS, Rim bokursen i patientsäkerhet och En rökfri ope ration. SOF:s styrelse ser patientsäkerhetsarbe tet som en högt prioriterad verksamhet, men har gjort bedömningen att ämnet är alltför stort för att kunna hanteras på ett korrekt sätt inom ramen för det reguljära styrelsearbetet. Tiden är inne för att permanenta och forma lisera uppdragsbeskrivningen för kommittén.
Ortopedin i framkant
Således är patientsäkerhetsarbete här för att stanna. Att ducka bakom förlegade attityder går inte längre. ST-läkarna har förbättringsar bete som ett obligatoriskt inslag och inte vill färdiga specialister vara sämre? Det handlar mycket om att förändra en kultur, att regel mässigt aktivt söka efter riskmoment och att implementera ett nytt sätt att förhålla sig till vårdens, våra egna, tillkortakommanden. Från att för ett par år sedan ha legat och plaskat i kölvattnet vad gäller patientsäkerhet ligger ortopedin i dag i framkant. Det är något vi skall vara stolta över och den positionen skall vi arbeta för att behålla.
Verksamhetsnära förbättringar

Detta foto visar fem legendariska ortopedprofessorer vid den enes 90-årsdag. Vem var 90-åringen och vilka var de övriga?
Under den nytillträdde ordföranden Pelle Gustafsons, Skånes universitetssjukhus, ledning fortsätter kommittén sitt arbete med flera utmanande projekt. Bland dessa kan nämnas utarbetandet av ett rondverktyg, ett självevalueringsverktyg i patientsäkerhet, en SK-kurs i ämnet och ett förslag på samarbetsriktlinjer för primärvård/ortopedklinik kring några av våra stora gemensamma patientgrupper. Vi vill hitta verksamhetsnära förbättringsverktyg som tydligt kan göra skillnad. Har du förslag eller vill du delta i något av våra projekt är du välkommen att ta kontakt med pelle.gustafson@skane.se.
Anne GARLAnD
SPUR- och kvalitetsansvarig, SOF
Patientsäkerhetskommittén består f.n. av Pelle Gustafsson, Göran Magyar, Göran Modin, Anne Garland, Erik Vestberg och Olle Svensson.
Svar skickas/mailas till redaktionen senast 30 januari. Bland de som svarat rätt, dras fem vinnare som får varsin armbandsklocka.
Bildgåtan i OM 4/2011. Rätt svar: Van Nes(s) rotationsplastik. En form av extremitetsbevarande kirurgi som används framför allt hos barn med malignitet i knäregionen, ex osteosarkom. Efter resektion av knäleden roteras underbenet 180 ° och fixeras till lårbenet. Fotleden får därmed fungera som knä i en protesanpassning. Vi har också accepterat Winkelmann-plastik som rätt svar.
Rotationsplastiken i sig beskrevs första gången av Joseph Borggreve i Tyskland 1930. det gällde då en patient med tbc i knäleden. Tekniken blev mera populär efter att C P Van Nes 1950 beskrev den i J Bone Joint Surg (Br) och Winkelmann skrev om den 1996 i Orthop Clin North Am Vinnarna, leg. ortopedingenjör Cecilia Gustafsson och dito Jeanette Hultqvist, båda vid SOL, Helsingborg, docent Piotr Michno, Ortopedkliniken, NUS, Umeå samt ST-läkaren Aamir Mahdi, ortopedkirurgiska kliniken, Universitetssjukhuset Örebro. De får varsin armbandsklocka. Redaktionen gratulerar!

Anatomica AB
Stora Åvägen 25 436 34 ASKIM
Kontakt: Sverker Stomberg sverker.stomberg@anatomica.se www.anatomica.se
Arthrex Sverige AB Turbinvägen 9 131 60 NACKA
Kontakt: Johan Karlsson johan.karlsson@arthrex.se www.arthrex.se
Bayer AB, Bayer Schering Pharma Box 606 169 26 SOLNA
Kontakt: Andrea Kern Andrea.kern@bayerhealthcare.com www.
Biomet Orthopaedics AB Box 306 201 23 MALMÖ
Kontakt:Anders Hahn anders.hahn@biomet.com www.biomet.com
Boehringer ingelheim AB Box 47608 117 94 STOCKHOLM
Kontakt: Rebecka Bjerhagen rebecka.bjerhagen@boehringer-ingelheim. com www.boehringer-ingelheim.se
ceramTec
Klippan IJ 414 51 GÖTEBORG
Kontakt: Anders Hedlund a.hedlund@ceramtec.se www.ceramtec.com
De Puy
a Johnson & Johnson company 191 84 SOLLENTUNA
Kontakt: Mikael Tunedal mtunedal@its.jnj.com www.depuy.com
erimed international KB Box 5028 141 05 HUDDINGE
Kontakt: Robert Jansheden robert.jansheden@erimed.se www.erimed.se
Heraeus Medical nordic AB Box 437 191 24 SOLLENTUNA
Kontakt: Sven Caspersson sven.caspersson@heraeus.com www.heraeus-medical.com
KARL STORZ enDOSKOP SveRiGe AB Box 8013 141 08 KUNGENS KURVA
Kontakt: Pär Magnusson par.magnusson@karlstorz.se www.karlstorz.com
Link Sweden AB Box 180 184 22 ÅKERSBERGA
Kontakt: Kjell Thor kjell.thor@linksweden.se www.linksweden.se
Linvatec Sweden AB Datavägen 10D 436 32 ASKIM
Kontakt: Maria Hillinge mhi@nordicmedicalsupply.com www.nordicmedicalsupply.com
ORTOTecH
Kokbjerg 9
DK-6000 KOLDING
Kontakt: Karen Amdi ka@ortotech.com www.ortotech.com
RSA Biomedical AB Box 7972 907 19 UMEÅ
Kontakt: Per Grundström per.grundstrom@rsabiomedical.se www.rsabiomedical.se
Sectra imtec AB
Teknikringen 20 583 30 LINKÖPING
Kontakt: Ulrika Vach Ulrika.vach@sectra.se www.sectra.com
Smith & nephew AB Box 143 431 22 MÖLNDAL
Kontakt: Joachim Andersson joachim.andersson@smith-nephew.com www.smith-nephew.com
Stryker AB Box 50425 202 14 MALMÖ
Kontakt: Pehr Abrahamsson pehr.abrahamsson@stryker.com www.stryker.com
Synthes AB Korta Gatan 9 171 54 SOLNA
Kontakt: Stina Winqvist info.se@synthes.com www.synthes.com
TOUL Meditech AB Ånghammargatan 4 721 33 VÄSTERÅS
Kontakt: Tomas Hansson info@toulmeditech.com www.toulmeditech.com
Zimmer Sweden AB Gamlestadsvägen 2-4, Byggnad 22 415 02 GÖTEBORG
Kontakt: Jan Hultberg jan.hultberg@zimmer.com www.zimmer.com
Össur nordic AB Box 67 751 09 UPPSALA
Kontakt: Magnus Lilja mlilja@ossur.com www.ossur.com

Under flera år hade jag hört talas om det: att arbeta som backläkare i svenska fjällen. Jag hade fått förfrågan några gånger men alltid hittat en undanflykt. Det fanns nämligen en hemlighet som jag skämdes för. Jag hade aldrig stått på ett par slalomskidor. Aldrig ens provat de speciella pjäxorna som hör till.
Av Anna MacDowall
ag är nämligen uppväxt på Gotland, där högsta punkten länge var en soptipp. Mina föräldrar var helt ointresserade av alpin åkning och
tyckte dessutom att det var för långt och omständligt att ta sig till fjällen med först en lång båttur och sen en hel dag i bil.
Länge visste jag inte ens om att fjällsemester
med slalomåkning fanns som fenomen. Inte förrän jag kom upp i högstadiet konfronterades jag med denna märkliga folkrörelse. Jag hade en kompis som åkte varje år till

Ramundberget som en självklarhet, men jag var rädd att framstå som dum så jag vågade inte fråga vad Ramundbergen var. Av de fragmentariska anekdoterna jag fick höra framstod det närmast som en magisk plats; var det kanske en kurort i Schweiz, eller ett pilgrimsmål i Spanien?
Allt var höljt i mystik. Jag hann nå vuxen ålder innan jag förstod att alpina skidor inte ser ut som längdskidor och att pjäxorna är höga och annorlunda. Vissa åker heller inte på skidor alls utan på bräda, och hur sitter den fast egentligen?
När jag flyttade från Gotland visade det sig att visst alla kunde åka utför och åkte till fjällen eller alperna regelbundet.
Aldrig varit norr om Ludvika...
Jag började känna ett stort utanförskap. Jag som inte ens varit norr om Ludvika, och den gången jag var där var det dessutom sommar. Sannolikt är att om jag inte blivit ortoped, skulle jag nog aldrig kommit iväg, så främmande kändes allt detta för mig. Jag hade hållit mig till längdskidor i mån av snö, långfärdsskridskor i mån av is och åkt till varmare länder om jag ville resa bort.
Men nu hade jag bestämt mig. Jag ville ge mina barn den chans som jag aldrig fick, medan jag själv kunde åka för jobbets skull om inte annat. Jag ville inte att mina barn skulle behöva känna samma utanförskap som jag. Jag ville ge dem rättigheten att också få bryta sina ben i backen och sedan stolt visa upp gipset i skolan och få kamraternas beundran, som jag minns att det var när jag var barn.
Min syster och hennes respektive ville också
följa med så det kändes vallat för att kunna bli en trevlig vecka ändå.
Jag tog med mig mina längdskidor också, ifall slalom skulle vara sådär otäckt läskigt och svårt som jag föreställde mig att det nog kunde vara.
Inga kunder alls - första dagen
Veckan var upplagd så att vi var två backläkare som turades om att sköta mottagningen varannan dag. Mina dagar var söndag, tisdag, torsdag och halva lördagen. Det fanns också en jourmobil som vi turades om att vara tillgängliga på. Mottagningstiden var en liten stund på morgonen när liftarna öppnade och en stund på eftermiddagen när de stängde. Däremellan var man fri såvida det inte ringde i jourmobilen förstås.
Min första arbetsdag kom det inga patienter alls. Det var bytesdag för de ”vanliga” gästerna så folk åkte antingen hem och sökte väl läkarvård på hemorten eller så anlände de fräscha och oskadade och stod i kön för att hämta ut sina hyrskidor. Jag passade på att ta en privatlektion och på vinglande Bambi-ben sniglade jag mig försiktigt ner för barnbacken. Jag upptäckte att det faktiskt inte var så svårt att lära sig grunderna som jag först trott, och det kändes rent löjligt att jag känt motstånd och rädsla att prova på det här tidigare. Liftarna var ju inte heller svåra att förstå sig på och det var inga köer någonstans. Det var ju så fantastiskt roligt också. Jag kände det som om jag aldrig kunde få nog.
På måndagen började barnen i skidskola och jag avancerade till att åka alla de gröna backarna från toppen. På kvällen var det kvällsåkning
i den upplysta world-cup backen som gällde. Kvällsåkningen var barnens favorit.
På tisdagen fick jag betydligt mer att göra. Mottagningen var full och sen bara fortsatte det att komma akutfall. Nästan alla skadade var nybörjare som ramlat i grön backe. Två stycken patienter var jag tvungen att skicka till Mora lasarett. Det var en 7-årig pojke med tibiafraktur precis där pjäxan slutade, instabiliteten kändes tydligt när vi skulle ta av honom pjäxan. Den andre var en 35-årig man med en C-skada i fotleden, även här var frakturen precis där pjäxan slutade. De lite lindrigare skadade kunde jag istället skicka till Sälens vårdcentral för röntgen, som det t.ex. blev för en 13-årig flicka med hemartros och främre korsbandsskada.
När jag precis skulle stänga mottagningen för kvällen kom min fjortonde och sista patient för dagen.
Det var min egen lillasyster som just satt sig på sin hand i backen och ådragit sig en distal radiusfraktur när pojkvännen skulle lära henne att åka snowboard.
Röda backar och luxerad axel
Veckan fortsatte med mycket skidåkning. Jag lärde mig åka blå backe och sista två dagarna även de röda backarna. På torsdagen hade patientflödet lugnat ner sig igen. Nybörjarna hade väl liksom jag tränat upp sig lite och veteranerna lyste fortfarande med sin frånvaro. Fallet som krävde mest uppmärksamhet var en man som kom in med axeln luxerad. Jag var mest nervös för att sätta nål, det är ju inte precis vad en svensk ortoped gör varje dag på jobbet. Men även detta gick bra och var inte lika svårt som i mina föreställningar, han fick sin smärtlindring och axeln kunde reponeras.
Antalet patienter slutade på 18 för hela veckan, och av dessa var det bara 1 UVI, 1 ÖLI, 1 paronychi, en bebis med eksem och resten var ortopediska trauman.
Ingen mer i min familj blev skadad, alla lyckades lära sig åka skidor och sist men inte minst, alla blev skidfrälsta. Så nu längtar jag redan till nästa år då vi ska åka igen. Äntligen, efter nästan ett halvt liv, förstår jag mig på denna stora folkrörelse som är utförsåkning.
Längdskidorna som jag hade med mig, ja de låg ensamma kvar i bilen hela veckan tills det var dags för hemfärd igen. De var med helt i onödan.
AnnA MAcDOWALL ST-läkare ortopedi, Norrtälje sjukhus, styrelsemedlem i Epiphysen
Artikelförfattaren i mitten omgiven av läktarläkaren Anna Allfelt och tandläkaren Alf Hötzel, sjukvårdsdgruppen Malmö Arena och längst till höger vMgeneralen Arne elovsson.

Handbolls-VM i Sverige:
Den medicinska servicen under handbolls-VM i Malmö leddes av Sven-Anders Sölveborn, som här berättar om upplägget.
Av Sven-Anders Sölveborn
Det i januari 2011 i Sverige genomförda världsmästerskapet i handboll för män, världens största inomhusarrangemang och det största evenemanget alla kategorier
i Norden detta året, blev en organisatorisk, sportslig och ekonomisk succé. Eftersom undertecknad fungerade som säkerhetsansvarig (Security manager) och tillika ansvarig för den medicinska servicen samt ordförande i
Tävling & Arena-arrangörsgruppen i Malmö Arena, huvudarenan under VM, har OM bett mig beskriva uppbyggnaden av det medicinska konceptet, som jag delvis gjorde på ett nytt sätt. Vårt VM fick av presidenten i internationella
förbundet IHF och andra pampar, liksom av TV-sändningsfolket epitet ”det bästa VM:et någonsin” och vi i arrangörsgruppen förärades också VM-medaljer för detta!
Vi i Malmögruppen håller nu på att skriva ihop en VM-manual för framtida nyttjande. Sverige-VM sändes till 162 länder med c:a två miljarder tittare sammanlagt och 224 000 biljetter såldes, vilket gav en biljettintäkt på 85 miljoner, men en sammanlagd omsättning på 110 miljoner och en vinst på 25 miljoner, klart över budgeterat belopp.
Fantastiskt publiktryck
I Malmö Arena hade vi aldrig under 7000 åskådare någon av de 10 speldagarna med 22 matcher och några gånger, inklusive finaldagen, utsålt med 12 500 i publik (1000 platser går bort p.g.a. massmedias arbetsplatser). Genom det framgångsrika deltagandet av både Danmark, som spelade alla sina matcher i Malmö, och Sverige garanterades ju höga publiksiffror. Sverige nådde överraskande en fjärdeplats i turneringen, förlorade semifinalen mot slutsegrarna Frankrike knappt och bronsmatchen mot Spanien med endast ett mål, medan Danmark tog sig till final, som förlorades efter förlängning med mycken dramatik och publiktryck.
VM-turneringen omfattade sammanlagt 98 matcher och spelades i en härlig idrottslig anda, där alla trivdes och inga huliganer eller andra intermezzon tilläts uppkomma av den genomarbetade säkerhetsorganisationen och över 1500 volontärer ställde upp i arrangemanget.
Medicinska servicen
Eftersom de olika landslagen har egna läkare, sjukgymnaster och andra medicinska handläggare, satsade jag på inrättandet av läktarläkare med en dylik på vardera av de två läktarplanen i Malmö, vilka hade att bedöma och göra insatser bland publik och funktionärer utanför spelplanen, i samverkan med arenans egna sjukvårdsgrupper (specialutbildade akutsjuksköterskor) och ambulans.
En matchläkare ingick i själva matcharrangemanget, också att vara behjälplig med medicinska åtgärder på (och bredvid) spelplanen, nära placerad mig som ansvarig medicinsk samordnare med ögonkontakt, och medtagande akut omhändertagande-kit, inklusive sutur-set och liknande. Denne skulle ingripa vid särskilt allvarliga skador såsom skallskador,
andningshinder och större buktrauma. Sammanlagt hade jag 12 läkare enrollerade för de 10 dagarnas 22 matcher i Malmö Arena.
En eller två sjukvårdsgrupper, som alltså ingår i arenans ordinarie evenemangsbesättning, ambulerade runt under matcherna med utrustning i ryggväskor och orienterade om placeringen av defibrillatorer och bårar. Dessa var alla inkopplade på säkerhetsnätet med kommunikationsradio. Ambulanspersonal var tillstädes enbart under matcherna, placerade på spelplansnivå på ena kortsidan med bilen bakom i back-stage-intaget och med telefonoch ögonkontakt med mig.
Också tandläkare på plats
Som en nyhet fanns också tandläkare tillgänglig varje dag och kunde göra tandbehandlingar akut dagligen, samt fanns på läktaren de flesta av speldagarna i Malmö.
Arenan tillhandahöll sjukvårdsrum liksom separat dopingkontrollrum, där dopingverksamheten helt administrerades av Riksidrottsförbundets specialgrupp, medan vi från VMorganisationen bistod med två medhjälpare/ volontärer. Läktarvärdarna var informerade om sjukvårdsorganisationen och instruerades om att vid skador eller svårare sjukdomsfall göra en snabb egen initial bedömning, kontakta sjukvårdspersonal direkt eller via ordningsvakterna (kom.-radio) eller med mig som Security manager per telefon.
De kliniker på SUS Malmö respektive Lund som var kontaktade och informerade om VMarrangemanget i god tid var Akutcentrum intermedicinska kliniken, Ortopediska, Handkirurgiska och Kirurgiska klinikerna jämte Röntgen (Bild- & funktionsdiagnostik) i Malmö, samt Neurokirurgen i Lund. Det blev en del ärenden från lagen mellan matcherna, samt från funktionärer och delegater från utlandet, vilka gärna ville ha medicinsk support när man nu var i ett medicinskt högutvecklat land.
Registrering av inträffade skador
Vid alla mästerskapsturneringar (VM, EM och OS) föranstaltar IHF:s medicinska kommission om registrering via lagläkarna av akuta skador med gemensamt standardiserat skadeformulär, där det anges tidpunkt (i matchen), typen av skada, lokalisation och bedömning över förväntad frånvaro från spel, alltså avbräck från handbollen. Denna registrering är strikt konfidentiell rent personligt, men statistiken har nyligen nått mig i en tysk version.
Efter varje match fylls en skadeblankett i, och i Sverige-VM skulle det innebära 196 lagrapporter från de 98 matcherna. Den verkliga svarfrekvensen motsvarade dock bara 56%.
Småskador föll genom nätet
Ändå ser man en del tydliga trender i överensstämmelse med tidigare internationella turneringar. Dessutom innebär ju denna registrering att t.ex. bedömda småskador, som inte skulle medföra något notabelt avbräck i handbollsspelandet, torde slinka igenom nätet. Sammanlagt registrerades på så sätt bara 64 skador, varav 23 kontusioner (36%), 14 ”muskelsträckningar” (22%), 8 muskel- eller senbristningar (12,5%), 2 ledluxationer, 2 frakturer och 2 hjärnskakningar, samt 13 andra skador. Vad gäller skadelokalisation är det intressant och i samklang med tidigare registreringar från 2002 och framåt, då det blev ett trendbrott, att merparten, förutom nedre extremiteten muskulärt (23%), drabbar huvud och hals (19%)! Knäna drabbades i 11% av skadefallen, medan fotledsskadorna nu var något mer än 9%, efter att ”förr i tiden” varit den vanligaste skadan med 17-21% i skadestatistiken i handboll (t.o.m. upptill 60% i vissa studier i ”korgboll” – som en del inom handbollen kallar basket - som jämförelse). Armskador inkl. axel och armbåge var 11%, liksom hand-finger-skadorna. Övriga 10 skador (16%) hänfördes till bål, höft, ljumske och fot. Kroppskontakt föregick skadorna i 64% av fallen, så en signifikant stor andel av skadorna sker utan en dylik.
Flest skador i andra halvlek
I analysen av skadetidpunkt är det intressant att merparten av skadorna, 42 stycken, sker under den andra halvleken och alltså 22 under den första, men framför allt att de relativt flesta skadorna inträffar mellan 40:e och 50:e spelminuten, över 31% (20 st.), dvs. de mittre 10 minuterna i andra halvleken! Det av lagläkarna bedömda nödvändiga speluppehållet p.g.a. skadorna var i 59% en dag eller mindre, medan 18% antogs få en frånvaro på 2-25 veckor. Förutom dessa 64 matchskador inkom anmälningar på 12 skador, som inträffat på träningar mellan matcherna inom ramen för VM.
Sven-AnDeRS-SÖLveBORn förbundsläkare i handboll, f.d. landslagsläkare, ortoped, idrottsmedicinare, studierektor AT/ST för Lasarettet i Ystad
Den tekniska utställningen översvämmades av reklam för höftledsartroskopi vid tillståndet femoroacetabular impingement (FAi).

Årets AAOS bjöd på både storpolitik och - förstås - en mängd intressanta föreläsningar. Här följer tre rapporter från OM:s medarbetare på plats i San Francisco.
Av Magnus Karlsson
If you’re going to San Francisco
Be sure to wear some flowers in your hair
If you’re going to San Francisco
You’re gonna meet some gentle people there” Denna lyrik är säkert för många äldre orto-
peder synonymt med deras ungdomsbild av staden där hippiekulturen tog fart och frodades under 1960-talet. Battery Street och Ash-

bury Haight är cementerade begrepp från den epok som med ”Summer of Love” i Golden Gate Park 1967 nådde sin höjdpunkt, en tidsperiod som fortfarande kan väcka liv i de mest giktbrutna ortopeder.
Men med förändrat samhällsklimat och den internationella terrorns inbrytning i samhället är det tveksamt om uppmaningen ovan håller. I dag bör rådet snarare vara att lämna blommorna hemma för att i stället se till att ha sina papper iordning om man vill komma in i landet och staden. Mer än en svensk ortoped hör-

des utgjuta sitt missmod över långa och sega köer vid gränserna, missade anslutningsflyg och allt annat än ”gentle” gränspersonal med liten förståelse om den fullständiga dokumentationen var fel ifylld eller inte låg rätt sorterad i passet.
Men när vi som deltagare väl kommit på plats för att bevista de två närliggande årsmötena för Orthopaedic Research Society (ORS) och American Academy of Orthopaedics Surgeons (AAOS) möttes vi än en gång av vänlighet, professionalism och imponerande mötesstruktur.
Under mötesveckan svalde kongressbyggnaderna och centrum en ofantlig mängd ortopeder från jordens alla håll som kommit för att uppdatera sig med det senaste inom ortopedin samt njuta av stadens alla begivenheter.
Internationell utbildning eller internationell politik?
Ett spännande möte som hölls på onsdagen var utbildningsmötet ”Expanding Global Partnerships Opportunity Meeting” där representanter för olika länders ortopedföreningar var inbjudna av AAOS för att diskutera hur den internationella ortopediska utbildningen kan förbättras. I mina ögon kom mötet att avspegla dagens politiska klimat.
Två äldre distingerade herrar med gråa kostymer representerade AAOS Scholarship Foundation och dess utbildningsprogram. De
började med att berätta hur man från AAOS åkte ut i världen för att amerikanska ortopediska experter i sin visdom skulle lära andra länders ortopeder hur man bör göra. De amerikanska ortopederna som deltar i detta program gör det på ideell bas så därför bör mottagarländerna stödja dem med businessbiljetter till flygen så de känner sig väl omhändertagna och inte kommer fram trötta och ur form.
Men, långsamt växte en viss kritik fram från flera utvecklingsländer mot att detta blev väldigt dyrt. Våra värdar förstod dock inte alls denna kritik.
Efter en viss diskussion möttes vi så av den nya verkligheten när Kinas representant, en stringent man i 50-årsåldern med mörk kostym och felfri engelska, reste sig och påpekade att de inte såg en envägskommunikation som något gynnsamt för den ortopediska familjen. Han frågade lätt provocerande varför USA:s ortopeder inte åker på Kinas ortopedmöten då de nästan är lika stora som AAOS och att man där lär ut massor av specifik ortopedi, något som säkert skulle vara till nytta även för amerikanska ortopeder. ”Först då blir det ett egentligt samarbete”.
Kina står inte längre och bugar och än mer tydligt blev symboliken när Kinas representant strax efter sitt inlägg, nästan som för att visa att han har viktigare saker än att syssla med, reste sig och lämnade lokalen.
Detta speglar väl rent allmänt Kinas utveckling och förändrade självbild och mötet blev i
vid AAOS möttes deltagarna av professionalism, imponerande mötesstruktur och en enorm teknisk utställning.

mina ögon kanske mer internationell politik än utbildningsortopedi.
Kan vi lita på klinisk ortopedisk forskning?
Ett annat tankeväckande symposium diskuterade ortopedisk forskning. Deltagarna var där överens om att den lägsta nivån inom den evidensbaserade pyramiden, att lyssna på experters råd, är vanskligt. ”In my hands” kan betyda att man har erfarenhet av en patient, ”in multiple cases” att man behandlat två patienter och ”in case after case after case” att man har erfarenhet av tre liknande fall.
Men, inte heller i toppen av den evidensbaserade pyramiden, med prospektiva randomiserade studier (RCT), är man säker på
att finna relevanta svar. En RCT kan följas av en mängd problem med studiedesignen som små försöksgrupper, hög proportion individer som lämnar studien, inverkan av kirurgen och sjukhusets skicklighet, inverkan av patientens förväntan samt en hög andel av individer som inte är nöjda med den behandling de lottas till och därför byter grupp. Allt detta är sådant som kan påverka med vilken styrka du kan dra dina slutsatser. Om en studie i för hög omfattning är associerad med dylika problem, så kanske de slutsatser som kan dras når en lägre vetenskaplig tyngd än slutsatser som dras i studier med lägre evidensgrad men med oklanderlig studiedesign.
Dessutom lyftes det fram att ett antal kliniska problem inte kan lösas med RCT så som vid extremt ovanliga sjukdomar eller vid åkom-
mor som kräver enormt stora material med lång uppföljning för att kunna dra slutsatser. Vid sådana frågeställningar kanske prospektiva observationsstudier är den studiedesign man får tillgripa. Slutsatsen blev att inte lita obetingat på publicerade RCT.
Ett expanderande ortopediskt område - femoroacetabular impingement (FAI) och höftledsartroskopi
Bland de områden som gav upphov till mest diskussioner och funderingar under mötet var begreppet ”femoroacetabular impingement” (FAI), ett begrepp som avhandlades i en rad abstracts och symposier. Man har nu identifierat två olika typer av FAI; CAM där collum femoris är förtjockat till ett ”pistolgrepp” eller

Malmö/Lund ortopederna Magnus eneroth, Anders nordqvist och Fredrik nyquist på väg hem från kongresshallen.
PINCER där labrum och en prominent acetabulumkant kolliderar med lårbenshalsen. Detta ger då upphov till inskränkt flexion och inåtrotation med smärtor som följd. Diagnosen fångas lämpligen med MRI då denna undersökning väl fångar labrumskadan och eventuella broskskador. Höftartroskopi är ett annat diagnostiskt instrument.
Man spekulerade även i att biokemiska markörer i framtiden kanske skulle kunna användas för att fånga patienter med FAI och broskskador. FAI opereras nu frekvent med artrotomi eller artroskopisk kirurgi. Men, vetenskapen som ligger bakom denna behandling är minst sagt tunn. Trots outredda svar exploderar antalet ingrepp. Grundtanken är att man med kirurgi skall minska smärtan och öka höftledens rörlighet. Men ingreppet fördes
även fram som en möjlighet att minska den framtida risken för artros. Om detta stämmer så öppnar sig ett nytt jättefält för ortopedisk kirurgi då en prevalensstudie från Schweiz uppgav att asymptomatisk FAI kan finnas hos upp till 25% av befolkningen och bland män med inskränkt inåtrotation hos 50% av fallen. Och inom den kommersiella delen av detta möte var man inte sena med att haka på trenden och göra reklam för höftledsartroskopi. Den tekniska utställningen översvämmades av reklam för ingreppet. Detta indikerar än en gång vikten av att nya behandlingsstrategier noga utprovas i vetenskapliga studier innan de släpps fria på marknaden.
FAI och höftledsartroskopi togs även upp i ett barnsymposium som en behandlingsalgoritm vid epifyseolys. Det viktigaste vid denna
åkomma är givetvis att stabilisera glidningen. Det flera föreläsare framförde var att man gärna skulle använda en praktisk klassificering i ”stabila epifyseolyser” som innefattar ca 90% av de med åkomman, de barn som kan belasta och gå på benet, och ”instabila epifyseolyser” som innefattar de barn som inte kan stödja på benet. Den senare gruppen är den med högst risk för avaskulär nekros (AVN) och är de barn som skall opereras akut. När det akuta tillståndet väl är under kontroll kommer nästa problem - en kvarstående felställning i proximala femur. Vid stora felställningar rekommenderades osteotomier för att få bättre täckning av caput femoris. Men, nu pläderade flera auktoriteter för kirurgi av små, små anatomiska avvikelser. I dessa fall diskuterades artroplastik av proximala femur genom artroskopi eller
miniartrotomi för att på samma sätt som vid CAM forma övergången collum femoris-caput femoris till mer anatomiskt normalt utseende. Detta skulle enligt föredragshållarna förmod ligen minska framtida risken för artros. När man såg att de små anomalierna hos patien ter med möjligen lätt inskränkt rotation som enda kliniska fynd styrdes till operation, und rar man verkligen om detta intra-artikulära ingrepp bör rekommenderas som standardbe handling.
The battered child syndome
Ett annat symposium tog upp problemet med barnmisshandel. Begreppet ”the battered child syndrome” lanserades enligt föreläsaren första gången 1962 i en artikel i JBJS. Man framförde också att nästan alla fall med denna diagnos är barn under fem års ålder, vanligast hos barn under ett år. Frakturer som hos oss på akut mottagningarna skall väcka misstankar om barnmisshandel är bakre revbensfrakturer, multipla frakturer med olika ålder, bilaterala akuta frakturer, meta-fyseala hörnfrakturer, komplicerade skallfrakturer samt långa rör bensfrakturer hos barn som inte har börjat gå. Frakturerna är oftast tvärfrakturer medan spiralfrakturer bör ge lägre grad av misstanke. Dock, man var mycket noga med att framfö ra att det inte finns någon patognomon fraktur som avslöjar barnmisshandel. Vid misstankar måste man anmäla och utreda med röntgenge nomgång av skelett samt utvärdering så barnet inte har någon benmetabol sjukdom som os teogenesis imperfekta (OI)
Hur skall vi bedöma kotfrakturer?
Vid en session gick man igenom kotpelarens skador och frakturer. Man lyfte där fram att man i dag bedömer dessa skador annorlunda än bara för några år sedan. Förr ansågs kot kroppskompressioner på över 50% möjligen vara en relativ operationsindikation och likaså ansågs Denis typ II frakturer, dvs. de fraktu rer som engagerade bakkanten av kotkroppen eller början av kotbågen, var instabila. Dessa opererades då i stor omfattning.
Men i dag har man till en del omvärderat sin inställning. Man lägger nu mycket större vikt vid om det föreligger en ligamentär instabili tet. Är ligamenten och då främst det posteriora

Maria cöster, Kalmar, diskuterar en ny validerad patientadministrerad fotskala som möjligen kommer att användas i ett framtida svenskt nationellt kirurgiskt fotregister.
artroplastikartikulationer. Man visade där att metal-on-metal artikulationer framförallt vid proteser med stort ledhuvud gav upphov till en rad problem som aggressivt växande pseudotumörer och med mätbar metalljonskoncentration i blodet. Föredragshållarna spådde att denna artikulation i framtiden kommer leda till ett jätteproblem. I detta symposium visade även Johan Kärrholm, Göteborg, att de nya polyetylenmaterialen (tvärbunden plast) även i långtidsförlopp verkar hålla bättre än de traditionella plasterna.
Hur skall femurfrakturer behandlas?
Ett annat symposium avhandlade om det är bäst att använda antegrada eller retrograda spikar vid femurfrakturer. Slutsatserna blev att det inte finns någon vetenskapligt dokumenterad skillnad i operationstid, peroperativ blödning, subjektiva resultat eller komplikationer inklusive risken att utveckla pseudartros. Vi som åhörare uppmanades att tillägna oss båda teknikerna då olika typer av frakturer då kan adresseras olika. Dessutom rekommenderas retrograd spikning hos dem med extrem övervikt eller en instabil acetabularfraktur på samma sida då det i dessa fall är svårt att komma åt ingångsstället vid proximala femur.
Ett nytt svenskt nationellt register?
Något som även visar sig på möte efter möte är vilken fantastik kunskapskälla våra svenska nationella register är. På detta möte levererade bl.a. Juri Kartus, Trollhättan, ny intressant kunskap från korsbandsregistret som nu innefattar nästan 18 000 patienter. I detta register visar det sig att revisionskirurgi har sämre resultat än primärkirurgi, rökare har sämre resultat än icke rökare och att kvinnliga fotbollsspelare har stor risk att få en re-ruptur.
Även svenska höftprotesregistret redovisade i flera föredrag ny och viktig kunskap. Intag av antidepressiva mediciner visade sig vara associerad med sämre resultat än om antidepressiva mediciner inte användes. Patienter som opererats med en ocementerad totalplastik efter femurfraktur eller icke traumatisk osteonekros av caput femoris visade sig ha en förhöjd risk att råka ut för en närliggande femur-fraktur de första 6 månaderna efter primäroperationen.
Och slutligen, halvplastikoperationer där man använde bipolära huvuden, cementlös stam och bakre snitt är associerade med ökad risk för luxationsbetingade re-operationer. Glädjande nog föreligger det även långt gångna planer på att starta flera nya nationella svenska register som ett axelinstabilitetsregister, ett traumaregister och ett fotkirurgiskt register. Ett problem när man startar nya register är att identifiera bra validerade formulär som patienterna själva kan fylla i och där man inte behöver en läkarundersökning.
Maria Cöster, Kalmar, redovisade i sitt föredrag på mötet en ny validerad patientadministrerad fotskala (SEFAS) som värderats med gott resultat hos individer med fotledsartros. Det pågår även en validering av detta formulär hos patienter med framfotsproblem och visar sig att detta formulär vid valideringen håller måttet även då, så har man inom den fotkirurgiska föreningen skaffat sig ett bra instrument för att gå från plan till handling och starta ett svenskt nationellt kirurgiskt fotregister.
Främre korsbandet – en följetong
Det finns idag en viss tveksamhet att använda dubbeltunnelrekonstruktion vid operation av främre korsbandsruptur. Den teknik som ofta förespråkas är en anatomisk singeltunnelteknik där man borrar femurkanalen från en anteromedial portal och gärna använder sig av en hög anteromedial portal för att visualisera var graftet skall placeras på femur. Som graft förespråkar många den egna quadricepssenan. Allografts används i allt mindre omfattning, främst hos yngre, då man sett en upp till tre gånger ökad rerupturfrekvens i denna patientkategori. Dagens trend tycks vara att använda mer autograft hos individer under 40 och allograft främst hos äldre patienter.
När det gäller fixationsmaterial finns det en trend bort från olika bioresorberbara fixationer. Det som idag väcker intresse är fixation med olika produkter gjorda i PEEK, ett plastmaterial som skapar mindre osteolys. Anledningen till att man inte använder metall är det skapar problem vid revisioner. Personligen tror jag att man skall vara restriktiv till att byta från titanskruvar då vi i dagens läge känner till för lite om PEEK-materialets långtidseffekter och då dessa material är mycket dyra.
Man har också allmänt ökat rehabilite-
ringstiden efter en korsbandsoperation. Idag rekommenderas ofta återgång i full idrottsaktivitet först 9 månader efter en operation med autograft och 12 månader efter allograft. Detta stämmer bättre med de råd som vi allmänt ger i Sverige. Inom fältet presenterade Markus Waldén, Kristianstad, en uppmärksammad preventionsstudie utförd på kvinnliga fotbollsspelare. Ett 15 minuter långt preventionsprogram genomfört 1-2 gånger i veckan visades i denna studie kunna minska främre korsbandsskador med 64%. Ännu ett exempel på hur viktigt det är med bra forskning för att finna vägar att reducera oönskade effekter av träning.
När det gäller behandling av broskskador har det framkommit en rad nya produkter som fungerar som byggnadsställningar för broskceller och stamceller. Dessa kan möjligen möjliggöra en bättre behandling av större broskdefekter även om vi fortfarande saknar en riktigt bra broskersättningsmetod. Det tycks som om man även i USA upptäckt vikten av ett bra alignment när broskskadorna behandlas. Flera föredrag behandlade effekten av proximala valgiserande tibiaosteotomier samt distala variserande femurosteotomier för att skapa ett bra alignment och på detta sätt öka chansen till ett bra långsiktigt resultat efter en broskskada.
Mötets avslutning
Jag tror de flesta av mötesdeltagarna på lördagen när årets AAOS möte avslutades med ”speciality days” d.v.s. med de amerikanska delföreningarnas egna program, kunde sammanfatta denna intensiva vecka med följande klassiska rader
“I left my heart in San Fransisco.
High on a hill, it calls for me.
To be where little cable cars climb halfway to the stars.
The morning fog may chill the air, I don´t care.”

MAGnUS KARLSSOn Vetenskaplig sekreterare SOF

”I’m like a kid in a candystore” utbrast den nyanlända kollegan när han steg in i kongressvestibulen under första dagen på Academymötet i San Francisco. Och så är det verkligen för den som har intresse för ortopedi.
Visst finns det sura karameller men det är inte svårt plocka ihop en riktigt bra godispåse. Här är ett smakprov.
Efter förra årets separation mellan ORS och AAOS årsmöten anordnades nu mötena åter igen i anslutning till varandra. I den impo-
nerande mässanläggningen Moscone Center i San Fransisco anordnades mötena tillsammans cirka 3000 postrar, nästan 1100 fria föredrag, knappt 50 symposier, omkring 250 instruktionskurser och workshops, mängder av satellitsymposier samt en ändlös utställning.
”Poster Walking Tour” var en succényhet för
i år. Det erbjöds alltså guidade turer som hölls av välkända forskare som hade valt ut några särskilt intressanta postrar inom ett deras respektive intresseområde.
En sådan tur hölls av professor Leif Dahlberg i Malmö inom området ”Imaging” – det vill säga bildåtergivning för diagnostik och
forskningsändamål. Joseph Lane från New York höll i höftturen. Han är en av flera lagläkare för New York Giants (som för den oinvigde spelar amerikansk fotboll). Han avslöjade strax före avspark för Superbowl att hela Giantslaget var dopat med D-vitamin. Han hade nämligen sett en stark korrelation mellan hög prestation, låg skadefrekvens och hög koncentraton av vitamin D i blodet. Det gick ju bra för Giants också.
Artificiella senor
Inom ligamentforskningen är det fortsatt stort intresse för stamceller även om det inte finns studier som på ett övertygande sätt kan visa deras positiva effekt. Senläkning är ett stort problem, bland annat vid reparation av rotatormuffrupturer. Man har nu lyckats skapa artificiella senor och visat att stamceller kan förbättra senläkningen, dock bara djurexperimentellt än så länge.
Lyssna på brosket
Största skrattsalvorna drog en studie från Tennesse som testade en ny metod för att ickeinvasivt bedöma broskkvaliteten i knäleden. Man använde sig av vibrationsmätare, accelerometrar, som fästes kring knäleden och registrerade de vibrationer som uppkommer mellan broskytorna som rör sig mot varandra. Dels fick man en vibrationskurva som hade högre amplitud hos artrospatienter jämfört med knäfriska kontroller. Vibrationerna gav också upphov till ett typiskt ljud som hos knäsfriska bara var ett litet diskret knaster men hos artrospatienter lät som ett osmort gångjärn. Kanske kan tekniken utvecklas till ett ledstetoskop!
Pris till Gunnar Andersson
Gunnar Andersson från Rush University Medical Center I Chicago fick det prestigefulla ORS Alfred R Shands Award för sitt livsverk inom ortopedin. Med viss oro för framtiden, höll expresidenten Gunnar Andersson en upp skattad exposé om ORS 60-åriga historia som ledde fram till frågan; varför är framstegen så långsamma inom områdena artros och ryggs märta?
Vi rök int i Kalifornien




av såväl artroskopisk som öppen kirurgi förefaller öka oroväckande. Det finns inte övertygande forskning till någon metods fördel och indikationerna är oklara. I plenum ställde Olle Svensson frågan om det finns någon randomiserad kontrollerad studie som jämför olika behandlingsalternativ inom området. Svaret blev nej Olle Svensson var också inbjudan att tala om SOF:s och LÖF:s antirökkampanj. Enligt Olle Svensson själv var det ett mycket bra gensvar, symposiet omnämndes särskilt i kongresstidningen som kom ut med ett nytt nummer varje dag under mötet.
Inom området proteskirurgi handlade det mycket om metall mot metall-artikulationer i höften. Inom loppet av några år skedde det i USA en okritisk ökning av användningen av metall mot metall till cirka 40 procent av alla helproteser. Man trodde det här var lösningen på slitageproblemet. ASR-debaclet har nu gjort att användningen har minskat till mindre än 10 procent. Frågor om hur alla dessa patienter skall följas och utredas vid eventuella symptom belystes utan tydlig konsensus. Värt att nämna är att Per Erik Johansson från Göteborg är medförfattare i ett arbete om höggradigt tvärbunden plast som fick det mycket fina The John Charnley Award. Plasten som nu introducerades för tio år sedan förefaller fortsätter fungera väl. När det gäller storleken på ledhuvudet talar kunskapsläget för att hålla sig till 32 millimeter för standardpatienten.
Knäprotes – salvage procedure?
Michael Dunbar, frånCanada, gick vid Speciality day igenom resultat från flera stora observationsstudier som visade att andelen missnöjda patienter vid knäproteskirurgi uppgår till hela 18 procent. Han avslutade sitt föredrag med att provocera hela knäplastiksällskapet genom att påstå att knäplastik bör betraktas som en ”salvage procedure” vid svår knäledssjukdom.

Det är fortsatt obegripligt stort intresse för femuroacetabulärt impingement. Användning
Gubbparaden är massiv på AAOS. Uppifrån och ned syns Gunnar Andersson, Henrik Malchau, cody Bünger, Paul Ackermann och Mats Brittberg.
Man kan ana en trend bland radiusfrakturer. Två föredrag med retrospektivt material rapporterade en förhållandevis hög komplikationsförekomst efter volara plattor. Besvär och ruptur av flexorsenorna, särskilt FPL, framkom som en problematik som vi med tidigare metoder inte sett. Någon förklaring till proble-


De berömda kabelspårvagnarna är San Franciscos turistattraktion nummer två. som är nummer ett får läsaren själv lista ut.
men gavs inte även om positionering av plat tan föreslogs vara en möjlig orsak.
Brittisk benjournal byter namn
Vid mötet offentliggjordes att Journal of Bone and Joint Surgery (Br) byter namn till The Bone and Joint Journal. Bakgrunden är att avtalet mellan den amerikanska och brittiska utgåvan har löpt ut och namnrättigheten till hörde JBJS (Am). Namnbytet sker från och med 2013. I samband med denna förändring har tidningen också lanserat en tidning med fri tillgång som riktar in sig mer på grundforsk ning Bone and Joint Research samt and Bone
and Joint 360 som tillhandahåller korta sammanfattningar och lättläst uppdatering.
Gemensamma utbildningsfrågor
Trots att sjukvårdssytsemen i Nordamerika skiljer sig markant från det svenska finns det stora likheter när det gäller de övergripande problemen och frågorna rörande specialistut
ras av de aktuella problemen med metall mot metall artikulationer. Efter tolv års förberedelser, har det amerikanska protesregistret börjat samla data. Inom den kommande treårsperioden kommer man successivt att ansluta fler och fler enheter. I det här sammanhanget kan man också att det är stort fokus på Internationellt registersamarbete. Bland annat har Food and Drug Administration initierat samarbete med International Society for Arthroplasty Registers, ISAR, där man nu planerar studier för att bland annat undersöka knän med rotationsfunktion i tibiakomponenten. Vid ISAR:s årsmöte som hölls under AAOS valdes Göran Garellick till president.
Industriutställningen var i vanlig ordning gigantisk. Att interaktionen mellan industri och profession numer är hårt reglerad går inte att ta miste om. Kanske in absurdum. Det ända som det bjöds på var ögongodis; de mest innovativa eller kanske desperata utställarna satsade på levande lättklädda skyltdockor.
Har vi inte lärt oss stegvis introduktion?
Trots generellt hög kvalitet på symposier, postrar och muntliga presentationer på såväl ORS som AAOS mötena finns det anledning att ifrågasätta vad och hur vi gör i praktiken.

Ett besök på AAOS kräver god planering långt i förväg, tipsar SOFstipendiaten Markus Waldén i den här rapporten.
Av Markus Waldén
ånadsskiftet augusti-september 2010 i samband med SOF/SICOT-mötet i Göteborg genomförde jag ortopedexamen och vann utlottningen av SOF:s stipendium till nästa möte för American Academy of Orthopaedic Surgeons (AAOS).
I forskningens namn brukar jag åka på 5-6 idrottsmedicinska/ortopediska möten årligen i Sverige och Europa och i jämförelse med dessa möten var det lite annorlunda denna gång, där de flesta föreläsningarna inte är gratis utan måste förhandsbokas och betalas separat (pris mellan 70-180 USD per så kallad instructional course), och ingen mat ingår i konferensavgiften. Dessutom startade förberedelserna ovanligt tidigt med inskick av abstract redan i maj 2011 och sedan har det varit regelbundna och återkommande formaliaärenden (ansökan om medlemskap i AAOS, registrering till själva mötet, inskick av manuskript efter godkänt abstract, genomläsning och godkännande av pressrelease, uppladdning av PowerPoint-föredrag före avresa etc.).
Min uppfattning är dock att allting har varit väldigt välorganiserat och det har nästan varit så att man har fått för mycket information i den preliminära programboken.
Uppkallat efter skjuten borgmästare
San Francisco är ju ett lockande resmål även utan ett AAOS möte. I staden bor det drygt 800 000 människor, en tredjedel asiater och en sjättedel homosexuella, där turismen är den största näringen med kända turistmål som Golden Gate-bron och forna fängelseön Alcatraz. Möteslokalen (eller egentligen tre separata närliggande komplex) heter Moscone
Convention Center och är uppkallad efter en av stadens borgmästare som tråkigt nog blev skjuten 1978 (nuförtiden är annars är brottsligheten lägre än i många andra amerikanska storstäder).
Dit begav jag mig på förmiddagen tisdagen den 7 februari, som inleddes med ett symposium om evidensläget vid behandling av frakturer, och som alla ju väl känner till, finns här ganska många hål för vår profession att fylla i. Efter lunch strosade jag omkring bland de drygt 500 posters som fanns upphängda och en nyhet för mig var att man även hade ett så kallat Multimedia Education Center där man helt enkelt kunde slå sig ner framför ett skrivbord i en stol och titta på olika instruktionsfilmer och föredrag som rullade kontinuerligt på monitorer.
Många svenska idrottsortopeder
Senare på eftermiddagen var det dags för abstractsessionen inom sektionen för idrottsmedicin/artroskopi där faktiskt 3 av 16 accepterade föredrag kring främre korsbandsproblematiken var svenska bidrag. Förutom mitt eget föredrag om prevention av främre korsbandsskada hos fotbollsspelande tonårstjejer deltog Uddevalla-Trollhättangänget med ett föredrag som hölls av Martina Åhlen om god regeneration av hamstringssenorna sex år efter korsbandsrekonstruktion, och Juri Kartus höll som representant ur korsbandsregistrets styrgrupp ett föredrag om registerdata för 18 000 främre korsbandsrekonstruktioner. Intressant, men kanske föga överraskande, visade han snyggt att revisioner går sämre än primära rekonstruktioner, rökare går sämre än icke-rökare och unga fotbollstjejer är överrepresenterade,
inte minst vad gäller revisionskirurgi.
Onsdagen den 8 februari inleddes för min del med ett spännande barnortopediskt symposium. Detta innehöll ett avsnitt med fallbeskrivningar av typiska barnfrakturer med fem olika behandlingsförslag till varje fall som publiken via mentometerknappar fick tycka till om och rösta på mest lämpliga behandling.
Detta är ett roligt inslag som dessutom gör att man håller sig mer vaken än vanligt, särskilt när tröttheten efter tidsomställningen gör sig påmind. Resten av dagen spenderade jag sedan faktiskt i den enorma utställningshallen med ofantligt många utställare och mest intressant var att testa på olika menisksuturset och få ocementerade höftproteser demonstrerade. För en fotbollsfantast var det givetvis även spännande att få se (dock inte röra) den riktiga VM-bucklan som fanns i en bevakad monter hos en av utställarna som är nybliven sponsor till fotbolls-VM i Brasilien 2014.
Detta var ett smakprov på vad som erbjöds och jag vill avslutningsvis passa på att tacka SOF för stipendiet och hemmakliniken för kompletterande finansiering samt vill rekommendera alla kollegor som inte redan varit på ett AAOS möte att försöka åka över någon gång. Tänk emellertid på att planera ditt deltagande i god tid, i synnerhet om du ska skicka in abstract/poster, och förhandsboka med för del några intressanta in struktionskurser redan på hemmaplan, eftersom de populära sessionerna ris kerar att säljas slut snabbt.
specialistläkare, Ortopediska kliniken, Hässleholms sjukhusorganisation

Alla vuxna patienter som opererades för bäckenringskada eller acetabularfraktur (ledskålen i bäckenet som ledar mot höftkulan på lårbenet) vid ortopedkliniken på Akademiska sjukhuset, Uppsala, följdes från 2003 och framåt med instrument som mäter livskvalitet. Resultatet redovisas i denna avhandling.
Bäckenringskador och acetabularfrakturer med felställning behandlas kirurgiskt för att patienten skall kunna mobiliseras till god funktion. Det är allvarliga skador med konsekvens för individen på flera plan. Vetenskaplig uppföljning efter operation av båda frakturgrupper har i ett internationellt perspektiv länge varit till övervägande del retrospektiv och har inte fokuserat på patient-rapporterat utfall.
Det övergripande målet med mina arbeten var att studera resultatet efter kirurgisk behandling av bäckenskada baserat på utvärdering från patientens perspektiv. Alla vuxna patienter som opererades för bäckenringskada eller acetabularfraktur (ledskålen i bäckenet som ledar mot höftkulan på lårbenet) vid ortopedkliniken på Akademiska sjukhuset, Uppsala, följdes från 2003 och framåt med instrument som mäter livskvalitet. Patienterna kom från olika regioner i landet, och de vanligaste skademekanismerna var trafikolycka och fall från höjd.
Studie I inkluderade 54 patienter (26 kvinnor, 28 män) i åldrar-
na 16-68 år med bäckenringskada som opererades under åren 2003 – 2005 och följdes i 2 år (Figur 1). Fraktur- och osteosyntesmaterialläge förändrades inte med tiden. Två instrument för uppföljning användes, SF-36 för hälsorelaterad livskvalitet och LiSat-11 för livstillfredsställelse. 45 patienter (83%) besvarade enkäterna och de låg lägre än normalbefolkning i båda måttens många olika parametrar.
Självmordsförsök
Studie II var ett kvalitativt samarbete med psykiatrisk expertis, och inkluderade 12 patienter (11 kvinnor, 1 man) i åldrarna 17-51 år som överlevt självmordsförsök via hopp från hög höjd, och ådragit sig operationskrävande bäckenringskada eller acetabularfraktur. Fyra år efter skadan levde alla patienter, och SCID-intervjuer utförda av psykiatriker visade låg förekomst av självdestruktiva handlingar och hög livskvalitet hos de yngre patienterna. Studie III inkluderade 136 patienter (28 kvinnor, 108 män) i åldrarna 17-83 år med opera-

tionskrävande acetabularfraktur som följdes i 2 år. Hos 19 patienter destruerades leden under uppföljningstiden och de fick höftprotes inopererad. Röntgenbilder efter operation delade materialet i de två grupperna 106 patienter med 0-1 mm kvarstående frakturgap, och 30 patienter med 2 mm kvarstående frakturgap eller mer. 129 patienter (95%) besvarade enkäterna en gång eller fler, och livskvalitet var högre i gruppen med bäst operationsresultat. Fysiska domäner i SF-36 instrumentet förbättrades med tiden, även om
de fortfarande låg lägre än normalbefolkningen.
Studie IV hade målet att utveckla ett specifikt utvärderingsinstrument för patienter med acetabularfraktur.
Slutna och öppna frågor ställdes till de första 127 konsekutiva acetabularfrakturpatienterna i studie III vid de tre postoperativa tidpunkterna 6, 12 och 24 månader.
Svaren validerades genom faktoranalys och svarskategorisering vilket resulterade i en multifaktoriell verbalt deskriptiv skala
Svensk Ortopedisk Förening har beslutat att årligen under tre års tid utse Årets Bästa Ortopediska Avhandling. Stipendiesumman uppgår till 100 000:-. Tävlingen pågår under åren 2009, 2010 och 2011. Följande kriterier gäller för beslut:
• Stipendietagaren skall vara medlem i SOF.
• Stipendietagaren utses av styrelsen för SOF och priset delas ut i samband med årsmötet.
• Stipendietagaren väljs ut bland de kandidater som med början kalenderåret 2009 under året försvarat sin avhandling och anmält den till tävlingen genom att skriva en kort sammanfattning i Ortopediskt magasin för publikation senast i nummer 2 (våren) 2012.
med sex specifika frågor angående smärta, gångförmåga, höftrörlighet, känselnedsättning i ben, sexualliv, operationsärr och en global fråga om bäckenskadans påverkan på vardagslivet.
• Stipendiet tilldelas den person som under året skrivit den avhandling som bedöms komma att medföra störst nytta för ortopedin i framtiden.
Lång fysisk rehabilitering ger tid för psykiatrin
• Stipendiet är personligt.
Skicka senast den 15 april 2012 din avhandling och en kort förklaring varför just den bör bli årets bästa till: Docent Anders Wykman, Ort klin, Helsingborgs lasarett, 251 87 Helsingborg. e-post: anders.wykman@skane.se
Sammanfattningsvis visar studie I att patienter med bäckenringskada har mångfacetterad påverkan på livskvalitet vid 2 år postoperativt. Patienternas livskvalitet alldeles före själva skadetillfället är okänd, och studier för att uppskatta den kommer kunna visa om denna patientgrupp avviker från normalbefolkningen redan innan skadan eller ej.
Studie II visar att det är värt att satsa resurser i multidisciplinärt team för överlevande självmordsförsök-hoppande patienter som ådragit sig operationskrävande bäckenskada.
Den långa fysiska rehabiliteringen verkar ge tid för psykiatrisk rehabilitering att få effekt och alla patienter levde efter 4 år, dessutom utan att återuppta självdestruktivt beteende.
Studie III visar att kirurgi av acetabularfraktur lönar sig bra ur patientens perspektiv på många sätt särskilt om rekonstruktionen blir utan större frakturgap. Studie IV visar att det är lämpligt att utvärdera denna patientgrupp specifikt med ett frågeformulär bestående av 7 frågor.
TOMAS BORG
MD PhD, Ortopedkliniken, Akademiska sjukhuset, Uppsala
Svensk Ortopedisk Förening har beslutat att årligen under tre års tid utse Årets Bästa
Ortopediska Avhandling. Stipendiesumman uppgår till 100 000:-. Tävlingen pågår under åren 2009, 2010 och 2011. Följande kriterier gäller för beslut:
• Stipendietagaren skall vara medlem i SOF.
• Stipendietagaren utses av styrelsen för SOF och priset delas ut i samband med årsmötet.
• Stipendietagaren väljs ut bland de kandidater som med början kalenderåret 2009 under året försvarat sin avhandling och anmält den till tävlingen genom att skriva en kort sammanfattning i Ortopediskt magasin för publikation senast i nummer 2 (våren) 2012.
• Stipendiet tilldelas den person som under året skrivit den avhandling som bedöms komma att medföra störst nytta för ortopedin i framtiden.
• Stipendiet är personligt.
Skicka senast den 15 april 2012 din avhandling och en kort förklaring varför just den bör bli årets bästa till:
Docent Anders Wykman, Ort klin, Helsingborgs lasarett, 251 87 Helsingborg. e-post: anders.wykman@skane.se
Corner är något helt nytt för Ortopediveckan, och med hjälp av Jesper Aspegren ska posterutställningen sjuda av liv i Kristianstad.
Av Börje Ohlsson
Med rubriken “Från ST till Nobelpris” vill vi ge årets SOFmöte en tydlig forskningsprofil. Bland annat får unga forskare presentera sina arbeten i speciella sessioner. Detta planeras till den 5 september i nybyggda Kristianstad Arena.
Det berättar Søren Toksvig-Larsen och Peter Ljung, som tillsammans med Isam Atroshi svarar för det vetenskapliga programmet under Ortopediveckan i Kristianstad 3-7 september. På samma tema får deltagarna också lära sig hur man rent praktiskt bedriver forskning och kritiskt granskar statistikmaterial.
Mohit Bhandari från Kanada, som för övrigt disputerade i Göteborg 2010 på en avhandling om femurfrakturer, föreläser inom samma område hur man bedriver evidensbaserad forskning.
Register och kvalitet
I fokus står även frågor om register och registerkvalitet. Bland annat har engelsmannen David Barett en föreläsning med titeln ”You think you are good, but you are actually crap”. – När får den första ortopeden Nobelpriset i Medicin? frågar Søren. Retoriskt sagt men fullt möjligt i en framtid. Professor Sten Lindahl från Nobelkommittén kommer i alla fall och berättar om arbetet bakom kulisserna när nobelpristagarna utses.
Den 30 man starka arrangörskommittén har jobbat i över ett år för att få till ett omväxlande och spännande program. Idag skriver vi början på februari och det vetenskapliga programmet är i stort sett klart, utom sessionerna till de fria föredragen, där deadline för anmälan är

Arenan i Kristianstad, centrum för årets Ortopedivecka. FOTO: Stefan Johansson.
15 maj. Programkommittén hoppas på många abstracts, speciellt från yngre forskare och STläkare som gjort egna projektarbeten. Egen session planeras för dssa yngre ”forskare”,
samt pris för bästa föredrag. Mötesdeltagarna kommer att få uppleva över femton symposier på olika teman, nio föreläsningar, ett stort antal instruktionskurser och närmare åttio fria
föredrag. Dessutom blir det rikliga tillfällen till uppfriskande debatter.
Minst en debatt om dagen är tanken om till exempel ”Kirurgi eller icke kirurgi vid artros”, ”Platta eller protes vid proximal humerusfraktur” etc.
Posteruställningen hamnar lätt i skymundan men arrangörerna tror att med hjälp av TV-journalisten Jesper Aspegren och en förhoppningsvis frågvis publikpanel ska den komma i fokus på ett helt nytt sätt. Jesper Aspegren kommer också att leda diskussioner i de återkommande debatterna.
Specialitetseftermiddag
Det är viktigt att Ortopediveckan är en angelägenhet för alla ortopeder, ett tillfälle där man ventilerar det senaste inom olika specialiteter. För första gången har man därför lyckats få till en riktig ”Specialitetseftermiddag”. På torsdagen håller nämligen samtliga SOF:s specialföreningar plus Idrottstraumatologisk sektion, Svensk Handkirurgisk Förening och Svensk Ryggkirurgisk Förening ett antal parallellses sioner inom sina respektive områden.
– De är öppna för alla och man kan gå mel lan de olika sessionerna som man vill, säger Peter.
Ett säkerligen uppmärksammat inslag under Ortopediveckan blir förre slalomstjärnan To mas Fogdös föreläsning. Tillsammans med idrottspsykologen Johan Plate ska han tala om ” Vad händer när det vänder”. Det handlar om att aldrig ge upp hur mörkt livet än kan te sig.
Allmänhetens föreläsning är brukar samla skaror av frågvisa patienter.
Detta populära inslag äger rum under ons dagen och leds av Sten Odenbring, Mats Molt och Magnus Karlsson.
För att fredagen inte bara ska bli en avresedag har man finurligt nog lagt in en extra lock ande programpunkt – en debattävling mellan två tremannalag.
–Det blir för och emot under rubriken ”My most difficult cases”, säger Søren.
tianstad blir ”Speakers corner” där vem som helst kan göra sin röst hörd.
– Man måste tänka nytt. Och jag kan mycket väl tänka mig att ställa upp där och föreslå något provocerande , säger Søren.
Informellt på Sommarlust
Onsdagskvällen blir det ett arrangemang på Sommarlust, Folkets park, där folk kan träffas under informella former. Den stora banketten äger som vanligt rum på torsdagskvällen på Yllan, ett stenkast från Arenan. Och på mässen har man hela veckan ”huspub”.
Ingen Ortopedivecka utan Ortopedmilen
och Art Ort, så också denna gång. Och till alla kaffeälskares lycka kommer man hela veckan lång att få njuta av den ädla drycken från en riktig barristavagn. Det kan inte bli mycket bättre!
BÖRJe OHLSSOn redaktör Ortopediskt Magasin
Anmäl abstracts senast 15 maj på www.ortopediveckan.se.
I mars öppnas hemsidan för anmälan om deltagande. Observera ju senare anmälan desto högre avgift!

Och samma dag berättar ju professor Sten Lindahl hur en ortoped kan få Nobelpriset.
Det blir svårt att lämna Kristianstad i förtid. Ett nytt och definitivt annorlunda inslag i Kris-
• Multi-functional instrument grasps tissue, passes and retrieves FiberWire®
• Ideal for all arthroscopic or mini-open passes of #2 FiberWire through soft tissue
• Simplistic and ergonomic design allows for one-handed operation
• Low profile designs fit down a 6 mm cannula
• Ratcheting jaw design grasps up to 16 mm of thick tissue
• Available in both single pass and MultiFire versions
• MultiFire version passes and retrieves one or two strands of #2 FiberWire MultiFire FastPass Scorpion AR-13997MF

Compatible Needle MultiFire Needle AR-13995N
Sedan den 1:a april 2006 har ortopedingenjören rätt att söka legitimation.
Vad har det inneburit för professionen? Vad har det haft för betydelse för den enskilde ortopedingenjören? I den här intressanta forskarrapporten har författaren ställt ett antal frågor - och fått delvis ganska överraskande svar.
Av Jennifer Viberg
Ortopedingenjören (OI) är den som utprovar hjälpmedel till människor som behöver stöd eller korrektion av en kroppsdel pga. ett funktionshinder. OI gör ortopedteknisk analys, riskanalys och bestämmer hur hjälpmedlet ska utformas och provar ut detta på patienten. OI har också ansvar för att följa upp hur hjälpmedlet fungerar och föra patientjournal.
Detta var motiveringen som låg till grund för regeringens beslut i propositionen för Legitimation och skyddad yrkestitel för ortopedingenjörer.
Sedan 1:a april 2006 har OI rätt att söka legitimation. Hur OI upplever denna förändring av yrkets förutsättningar och hur de ser på den egna yrkesprofessionen finns mycket lite skrivet om. Historiskt har inte yrket varit föremål för professionsforskning och med anledning av detta växte en nyfikenhet och intresse hos mig för få ökad förståelse kring OI:s syn på sitt yrkesutförande.
Att forska kring professioner har pågått under hela 1900-talet och det finns olika sätt att genomföra det. I professionsforskning ingår begreppet paradigm och yrkesparadigm. Beskrivning av paradigm kan göras av en romb där yrkesparadigment ingår i in-
dividens livspradigm.
Syftet med studien var att undersöka hur OI ser på den egna yrkesprofessionen samt upplevelsen av den förändring som skett av yrkets förutsättningar i och med legitimationen. Genom att sätta ord på den oartikulerade kunskapen kan yrkesparadigmet kommuniceras mellan kollegor och bidra till professionens utveckling.
Vad ändrades med legitimationen?
En kvalitativ studie med intervju i fyra olika fokusgrupper runtom i Sverige genomfördes under tidsperioden december 2010 och januari 2011.
De övergripande frågor som ställdes till deltagarna var:
(1) Vad tycker du är mest inspirerade att syssla med som ortopedingenjör?
(2) Vad tycker du är ortopedingenjörens uppgifter i arbetet med patienter för att uppnå god vård?
(3) Vilka regler/skyldigheter finns det att följa för dig som ortopedingenjör?
(4) Har något av dessa förändrats efter legitimationen, i så fall hur?
Intervjuerna analyserades utifrån Innehållsanalys och kopp-

yrkesparadigmet kan beskrivas som en romb med fyra hörn som representerar varje dimension: intresse, Kompetens, världsbild och verksamhetssyn.
lades i efterhand till Törneboms paradigmteori.
Denna studie visade att det som engagerar och intresserar OI är problemlösning, att jobba i team och att det är ett socialt yrke med stort behov av god kommunikation för att nå ett bra resultat. Samtliga anser att patientens medverkan har betydelse i behandlingen. Idag ger man en behandling,
inte endast tillhandahåller en produkt.
Respondenternas syn på verksamheten är att de kände sig delaktiga, inkluderade och behövda i teamverksamheten. Några ansåg att de patienter som ingår i ett team får bättre uppföljning. Vid de situationer då teamverkasamheten fungerade mindre bra, eller inte fanns framkom det inte att det kunde ligga på OI:s ansvar att initiera detta.
Inget hinder ta mer ansvar
Jag ser inget hinder i att OI skulle kunna ta mer ansvar nu när OI är legitimerad hälso- och sjukvårdspersonal. Ett problem som några tar upp är den barriär av upplevd misstänksamhet när en privat entreprenör ska skapa förtroende och samarbete med landstinget. Min åsikt är att det därför är extra viktigt att professionen stärker sin yrkesroll och definierar vad professionen kan.
Det gäller även att visa effekten av ortopedtekniska behandlingar genom att investera i utvärderingsinstrument samt tid och resurser för klinisk forskning.
De jag intervjuade upplever ett mer uttalat ansvar i och med legitimationen, och detta upplevs positivt. De uppfattar dokumentation i form av journalföring som en förutsättning för god och säker vård. Några upplever detta dock som något svårt och önskade en bättre förutsättning till de ökade kraven i och med legitimationen. Några beskriver att de är osäkra på vad journalen ska innehålla, väntar fortfarande på kursen som aldrig blev av.
Dilemma jobba i privat regi?
Resultatet visade olika nivå på kunskap gällande vilka riktlinjer som gäller för den legitimerade OI. Hur man känner till, förhåller sig till och diskuterar lagar och riktlinjer förefaller olika. Gruppernas etiska medvetenhet, reflektion över sitt moraliska handlande och om olika värden ställs mot
varandra, skilde sig också i resultatet. En fokusgrupp kunde se dilemmat mellan att vara legitimerad OI och att jobba i privat regi. En respondent i en annan fokusgrupp kunde se dilemman uppstå vid prioriteringar i arbetssituationer, medan andra inte hade någon uppfattning om vilka regler som professionen lyder under eller om det uppstår dilemman mellan olika värden/situationer. En respondent utryckte att ”avtalen strider aldrig mot socialstyrelsen” och det blir därför aldrig något etiskt problem. Utryck så som att ”etiska riktlinjer bygger på sunt förnuft” kan skapa problem; för vems sunda förnuft ska man gå efter?
Viktiga moment för att nå ett gott ortopedtekniskt resultat var problemanalys, problemlösning, god kommunikation och dokumentation.
Respondenterna utrycker att det är viktigt att ha konkreta mätvärden för att mäta förbättring, kunna utvärdera samt för att visa effektiviteten av ortopedteknik. Samtidigt utrycker de att det inte finns tid för det.
Detta innebär att världsbilden och verksamhetssynen skiljer sig åt och yrkesparadigmet blir därmed inte helt. De uttrycker vikten av uppföljning och utvärdering men att de inte har möjlighet att utföra det.
Personligt ansvar följer med legitimationen
Slutligen vill jag summera att ett syfte med legitimationen är att ansvaret är personligt och att det är viktigt att ortopedingenjören tar det ansvaret, men även att verksamheten tar sig tid för uppföljning och utvärdering.
Det är även viktigt att ortopedingenjören är medveten om sitt uppdrag, de krav som ställs på legitimerad hälso- och sjukvårdspersonal samt etiska frågor kring verksamheten.
JenniFeR viBeRG leg. ortopedingenjör, MSc
Referenser: Från författaren på begäran.


• Håller armen/skuldran immobiliserad i 15° abduktion med inåtrotation.
• Har en avlastande skuldersele som fördelar trycket över nacken till motsatt sida.
• Justerbart axelband med extra polstring för för att undvika skav mot halsen.
• Den 2-delade kudden kan enkelt byggas om för olika vinklar 15o, 45o eller 90o.
Kontakta oss för mer information 042-25 27 01, kundsupport@camp.se
Omkring fyrtio ortopeder fungerar som studierektorer med ansvar för ortopedisk specialistutbildning vid svenska sjukhus. Tjugo av dessa kolleger träffades vid årets riksmöte i Stockholm den 3:e februari. Mötet hölls i Läkarförbundets lokaler på Östermalm.
Huvudinriktningen för mötet gällde de olika konsekvenserna av den nya utbildningsplanen som regeringen antog 2008 (http://www.socialstyrelsen.se/sosfs/2008-17).
Professor Hans Mallmin, tidigare studierektor vid UAS (Uppsala) och sedan september SOFs utbildningsansvarige rapporterade från hearing som Socialstyrelsen haft med företrädare för olika medicinska specialiteter.
Grenspecialiteter
Hans Mallmin och SoS representanter redogjorde var för sig för denna fråga: Utbildningstiderna för vissa grenspecialiteter har blivit orimligt långa och flera specialiteter har kopplats ihop grenspecialiteter med alltför skild verksamhet.
Förslag finns på att strukturera om utbildningen, så att man börjar med en gemensam kunskapsbas (common trunk) inom närliggande specialiteter (t.ex. internmedicin, kardiologi, hematologi m.fl.) under en begränsad tid och att man därefter ”spårar” in på sin valda specialitet (idag grenspecialitet). Den gemensamma kunskapsbasen skulle leda till tillräcklig kunskap för att kunna ingå i framjourslinjen. En sådan modell skulle ge kortare utbildningstider än idag.
För blivande ortopeder skulle det utbildningen de första 6-12 månaderna kunna vara gemensam med kirurger, urologer och handkirurger. Utbildningen skull i så fall motsvara dagens delmål 1-3.
Utredningsarbetet för denna justering av specialitetsindelningen ska vara klart i juni 2012 och förslag om revision av specialitetsindelningen förväntas komma under 2013.
Ett annat av syftena med denna modell är att harmonisera specialistutbildningen med övriga EU-länder.
Vidare informerades om den översyn som skall göras av specialitetsindelningen. Syftet med översynen är att undersöka behovet av justeringar av enskilda specialiteters placering
i specialitetsstrukturen och behovet av förändringar av en gemensam kunskapsbas och därmed förändring av strukturen. Uppdraget är stort eftersom medicinsk kunskapsutveckling, patientsäkerhet och befolkningen utveckling måste tas i beaktande.
Den nya indelningen beräknas vara klar juli 2012 och justering av föreskrifterna och målbeskrivningarna beräknas vara färdigt under 2013.
Vidare önskar SoS harmoniera ST-utbildningen i landet. Man förordar därför nationella i stället för lokala kurser. Möjligen kan regionala kurser accepteras om de kvalitetssäkras på något sätt. 25 miljoner kronor finns i statliga medel för att anordna SK-kurser i samtliga specialiteter. Idag förvaltas dessa pengar av Ipuls.
Specialistkompetens
SoS kommer att lägga om rutinerna för granskningen av ansökningarna om specialistkompetens. Man planerar att engagera nio permanenta sakkunniga specialister inom varje medicinskt specialitet i stället för det som sker idag med olika externa bedömare.
OSTRIX hade bjudit in representanter från Socialstyrelsen för att belysa dessa frågor.
Utbildningsklimat
Anneli Kastrup redogjorde för Socialstyrelsens uppföljning av kvaliteten i läkarnas STutbildning., liksom följsamheten när det gäller Socialstyrelsens föreskrifter och allmänna råd om läkarnas specialisttjänstgöring (SOSFS 2008:17).
Man har försökt att samla in synpunkter från 580 ST-läkare, handledare, studierektorer, verksamhetschefer och vårdgivare. Metoderna har varit enkäter, telefonintervjuer interaktiva intervjuer on-line. Det sistnämnda var dock
svårt att få någon större uppslutning till, då det tog flera timmar från ordinarie arbetstid (Se: Nya ST – svårtolkade målbeskrivningar av Michael Lövtrup LT 2012-01-10 n. 3)
Den gemensamma uppfattningen i samtliga intervjuade grupper var att följsamheten av föreskrifterna var hög. Dock var det några problem som utkristalliserade sig i undersökningen: tolkningen av målbeskrivningarna för delmål 13-21, relationen mellan olika styrdokument för ST, konflikten mellan kraven på tid för utbildning och verksamhetschefernas krav på produktion, kraven på dokumentation, reglerna för handledning, regeltillämpning för vetenskapligt arbete för läkare från tredje land. Dessa huvudproblem kommer särskilt att ses över vid revisionen av SOSFS 2008:17.
Utredningen går att läsa i sin helhet på SOSs hemsida.
Frida Nobel och Thomas Wiberg båda från Socialstyrelsen var inbjudna för att svara på frågan: Vem har det egentliga ansvaret för att det anornas adekvata kurser?
Det är uppenbart att det idag saknas kurser med rätt innehåll, kurser vid rätt tidpunkt under utbildningen, och kurser med plats för tillräckligt antal deltagare. Det förefaller även oklart vem som har ansvaret för att säkerställa att innehållet i kursen har tillräcklig vetenskaplig och klinisk höjd.
Frågan besvarades aldrig uttömmande. Socialstyrelsen har uppenbarligen ingen tydlig uppfattning i frågan, men efter diskussion med auditoriet kom vi fram till att vårdgivare, SoS, SKL, Ipuls, verksamhetschefer och studierektor alla på olika sätt har ansvaret att adekvata kurser tas fram.
Det är dock oklart vem som bär det yttersta ansvaret. Det finns tydligen inte definierat i någon författning.
Frida och Thomas informerade om den översyn som skall göras av specialitetsindelningen: (se Grenspecialiteter ovan)

Ett av Ipuls uppdrag ärr att har till uppdrag att anordna relevanta SK-kurser. För detta har man idag ett anslag på 25 miljoner kronor. Denna summa räcker ingalunda till de ca 500 kurser per år som behövs för samtliga specialiteter.
Björn-Ove Ljung, VD, för Ipuls, var inbjuden att redogöra för Ipuls göranden och låtanden vad gäller just kursutbudet. Han ställde upp med ett anförande tillsammans med projektledare Anita Nilsson och projektsamordnare Katarina Fredriksson.
Ipuls ambition är att ge rätt kurs vid rätt tillfälle och att basutbudet av kurser räcker för att bli specialist. Verksamheten är gravt underbudgeterad vilket “staten” har informerats om. För att schemalägga och möjliggöra bokning av SK kurser detta har Ipuls tagit fram ett webverktyg. Dessutom ska web-verktyget hjälpa till att utbudet av kurser blir behovsstyrt, det ska kunna ge ett visuellt stöd för användaren, godkännande av kurser ska kunna utföras direkt på webben och man räknar även med att möjlighet till att dokumentera.
Programmet demonstrerades mycket prydligt, men vi fick aldrig klart för oss om det verkligen fungerade i skarpt läge, hur det kopplades ihop med aktuella kurser, eller vem som i verkligheten anordnade dessa kurser.
Programmet beräknas vara klart vid 2013 utgång.
Ipuls har sedan 2011 tagit över ansvaret för SPUR-inspektionerna i Sverige I framtiden ska inspektionerna röra fler
specialiteter per inspektion. T.ex. ska ett sjukhus kunna ha inspektioner på samtliga kliniker samtidigt. Man ska också kunna göra länsövergripande inspektioner. Man hoppas att detta ska ge mer kostnadseffektiva inspektioner. Det ska inrättas inspektörsteam med en huvudinspektor, två bisittare och ämnesexperter från berörda specialiteter. Inspektörerna ska deltidsanställas på Ipuls, medan ämnesexperterna kontrakteras på uppdragsbasis. Med detta hoppas man på en mer enhetlig bedömning och högre kvalitet på utvärderingen. Inspektionerna kommer i framtiden att benämnas ST-inspektioner.
Detta initiativ från Ipuls har ju fått mycket hård kritik från företrädare för många specialistföreningar och från tidigare Spurinspektörer, som upplever att Spur inspektionerna blivit både dyrare och mindre professionella efter att specialistföreningarna inte längre själva får utse Spurinspektörer. ( Se t ex: Tomas Bremell och Annika Teleman: Bristen på förankring i specialitetsföreningarna är total. SPUR-inspektörer manar till bojkott av ny modell för ST-inspektioner LT 2012-02-10 n 7)
Alternativ till iPULS
Ostrix diskuterade till sist önskemålet upp att det skulle finnas alternativ till iPULS för kvalitetsgranskning av SK-kurser och SK-liknande kurser. Starkt önskemål finns att SOF skulle kunna utse en kvalitetsgranskargrupp.
Flera exempel gavs på hur detta löses för re-
gionala kurser i landet.
Kunskapskontroller
Hur ska kunskapskontrollerna se ut? Många exempel finns t.ex. specialistkollegium, webenkät för evaluering till handledare och ST, seminariefrågor, ortopedexamensfrågor med gemensam genomgång, medsittning, sammottagning, ST föreläser för annan personal.
Vetenskapligt arbete - vad gäller? Var ska ribban läggas? Ska arbete granskas av extern bedömare. Vad är SOF´s krav? En önskan är att arbete skall kunna presenteras som en poster under Ortopediveckan
Kvalitetsarbetet behöver ej vara ett individuellt arbete, och det behöver inte någon vetenskaplig eller extern granskning
Epiphysen, som representerades vid Ostrixmötet av Kim Strandell, vill skicka ut en enkät till alla ST-läkare i Ortopedi. Detta tillstyrktes och Ola Rolfson och Hans Mallmin kommer att vara behjälpliga i detta.
evA SAMneGÅRD Ålands Centralsjukhus, Mariehamn ROGeR SKOGMAn överläkare, Falu lasarett, Falun MicHAeL ULLMAn överläkare, Sahlgrenska Universitetssjukhuset, Mölndal

fram speciella enheter med tonvikt på barn och traumatologi. 1922 inrättades den första professuren i ortopedi i Buenos Aires med L.A. Tamini som förste innehavare. Den argentinska ortopedföreningen grundades 1935 och har idag över 3000 medlemmar för en befolkning på 40 miljoner. Hur många av dem som dricker vin är okänt men i likhet med sina kollegor i andra vinproducerande länder torde det vara flertalet och därmed är kopplingen klar. Vinodling i Argentina är känd sedan 1500-talet och kom dit med spanska conquistadorer som från México togs sig ner genom Sydamerika och så småningom nådde Argentina och Chile. Den första vingården lär ha legat nära Buenos Aires men senare planterades vingårdar öster om Anderna med druvan criolla vilken fortfarande odlas för framställning av enkla vita och roséviner. Man fann snart att Andernas alla små floder som rann ner för bergen lämpade sig väl för bevattning av vingårdarna och när vinlusen, Phylloxera vastatrix, härjade i Europa på 1860-talet emigrerade vinbönder från Frankrike, Spanien och Italien till Sydamerika. Många kom till Argentina där de kunde plantera sticklingar från sina europeiska vinrankor. Provinsen Mendoza kom att bli centrum för vinodlingen. Under större delen av 1900-talet var Argentina en producent av stora volymer vin men av enkelt slag och

fieringsmetoder. Omvärlden fick då upp ögo nen för landet och mycket goda viner framför allt av Malbecdruvan exporterades och blev uppskattade.
Argentina är i dag världens femte vinproducent och cirka 1000 vinodlare framställer 1500 miljoner liter på cirka 250000 hektar odlad mark. 80% odlas i provinsen Mendoza och resten i San Juan, La Rioja, Catamarca, Salta samt några till. Vinodlingarna ligger högt mellan 500 och 2600 meter över havet och med låg nederbörd och luftfuktighet samt väl dränerad jord.
Nationaldruvan Malbec kommer ursprungligen från Frankrike. I Argentina har den funnits sedan 1800-talet men det var först när producenten Nicolas Catena vann internatio nell uppmärksamhet i slutet av 1990-talet med sin högkvalitativa Malbec som omvärlden bör jade uppskatta argentinska viner. Malbecs doft för tanken till körsbär, jordgubbar eller plom mon. Smaken är fyllig och mjuk utan skarpa tanniner. Druvan ger beroende på odlings- och skördebetingelser, både fruktiga, lätta viner och viner med stor komplexitet och struktur som lämpar sig för lagring i många år.
I den kände advokaten Robert Parkers ny hetsbrev Wine Advocate 2010 erhöll 41 argen tinska viner poäng mellan 94 och 99 vilket stäl ler dem i klass med de bästa franska, italienska
ducenter Parker belönade finns topparna Catena, Achaval Ferrer, Trapiche, Val de Flores, Yacochuya på Systembolaget. Av Systemets 239 argentinska viner är 29 av druvan Malbec och där kan rekommenderas Achaval Ferrer (179:nr 99638), Catena Alta (275:- nr 90522), Chakana Estate (105:- nr 6664), FLD Riglos Gran Corte (279:- nr 94591), Pascal Toso (149:- nr 6523), Quara (130:- nr 6551) och Tapiz (109:nr 6591). Vill man pröva toppviner i de högre prisnivåerna finns Bodega Noemia (489:- nr 97234), Catena Zapata Adrianna Vineyard (395:- nr 90528), Catena Zapata Nicasia Vineyard (395:- nr 90527), Quimera (299:- nr 90246) samt tre viner som inte är ren Malbec Yacochuya (435:- nr 75297), Val de Flores (400:- nr 75298) och Magdalena Tosos (540:nr 94701).

RicHARD WALLenSTen docent, överläkare, Karolinska Universitetssjukhuset, Stockholm



