Medici.com 126

Page 1


Dr Slavica Marić, radijacioni onkolog

Karcinom prostate

Prof. dr Bogdan Zrnić

Alergija na hladnoću

Klinika za grudnu hirurgiju UKC RS Dr Diego Gonzalez Rivas

Prof. dr Siniša Dučić Sto godina Dečje klinike u Tiršovoj ww w .medicicom. com

PEDIJATRIJA

KARDIOLOGIJA

ENDOKRINOLOGIJA NEFROLOGIJA

GASTROENTEROLOGIJA

REUMATOLOGIJA

PULMOLOGIJA

HEMATOLOGIJA

NEUROLOGIJA

PSIHIJATRIJA

VASKULARNA HIRURGIJA

UROLOGIJA

ORTOPEDIJA

ANGIOLOGIJA

FIZIJATRIJA

NUTRICIONISTA

UZV DIJAGNOSTIKA

DERMATOVENEROLOGIJA

KLINIČKA PSIHOLOGIJA

DJEČIJA KARDIOLOGIJA

DJEČIJA PULMOLOGIJA

DJEČIJA NEUROLOGIJA

DJEČIJA NEFROLOGIJA

DJEČIJA ENDOKRINOLOGIJA

DJEČIJI NUTRICIONISTA

DJEČIJA ORTOPEDIJA

DJEČIJA FIZIJATRIJA

LOGOPED ONKOLOGIJA

U našoj zdravstvenoj ustanovi rade vrhunski stručnjaci različitih specijalnosti.

Uvodna reč

Celoga je dana sneg polako pado, kao s voćki cvet. O, kako večeras, o, kako bih rado, odletela nekud daleko u svet, nekuda daleko kroz cvetove snežne kao leptir lak, i nekome htela reći reči nežne, tople, lepe, nove, kakve ne zna svak.

(U zimski dan, Desanka Maksimović)

Decembar, hladan i maglovit...Vuče se pogrbljeno k’o oronuli starac. Tovari svih godišnjih dana pritisli ga, umorili, savili a on bi, ipak, da stigne do cilja, da zaokruži ovu 2024. da popuni i ove poslednje dane, pa da štafetu preda Novoj 2025. kako bi i ona, sa tovarom prepunim neizvesnosti i iznenađenja, istrčala svoj puni krug. Prebirajući po danima iza, kroz paučinu sećanja, svaka nam pora govori da je bilo šaroliko, mozaično, izdržljivo, često i neizdržljivo. Svakome je godina donela ponešto, ali i bolnu podsetnicu da je sve prolazno. No, kako reče naš veliki Ivo Andrić:“Ono što ne prolazi nije sreća, a ono što ne boli, nije život...“

„Uvek je potrebno znati kada prestaje jedna etapa u životu! Ako uporno nastojiš da je sačuvaš duže no što je neophodno, gubiš radost i smisao onoga što ti predstoji i izlažeš se opasnosti da te Bog poljulja...“ Ove crtice iz dela Paula Koelja mogu da nam pomognu da prihvatimo prolaznost kao sreću što smo je, ipak, doživeli, a lekcije i gradivo koje nam servira tkaju nam neophodnu životnu zrelost, kako bismo svaku sledeću godinu mudrije i lakše proživeli! Nalazeći se na kraju novog početka, možemo malo i da odahnemo, da se osvrnemo i sagledamo koliko je visoka piramida koju smo do sazidali. A visoka je! Visoka je već 126 dragulja, brušenih dubokim emocijama i posebnim željama da Vam svaki zasija punim sjajem i po Vašoj meri i potrebi. Nije dovoljno samo želeti i imati snove da biste ostvarili ideje. Najvažnije je odabrati svoj put, a još veće je umeće znati hodati njime, udahnuti život ideji i učiniti je stvarnom! Upravo pod tim snopom esencijalnog svetla ispisivali smo svako slovo, svaki red, zapetu i tačku! Brusili smo svaki slog i svaku reč kako bi Vam bili što jasniji i što sjajniji. Uz veliku volju, želju i trud, verujemo da smo i uspeli. I ovaj put vas uvodimo u brojne edukativne i zanimljive tekstove koje ćete naći ako prošetate po stranicama časopisa „Medici.com“. Verujemo da će vam biti od koristi! I dok ga budete čitali, neka Vam zima pruži nezaboravan ugođaj i najprijatnije trenutke. Dragi prijatelji, živi nam i zdravi bili i neka su Vam srećni predstojeći praznici. Radujte se Novoj godini i Božiću! Volite se i poštujte! Čuvajte mir u svojoj duši! Čuvajte svoje zdravlje i čuvajmo niti naše veze i u 2025. godini.

dr Siniša Dučić

Predstavljamo:

Vesna Dimitrijević Srećković

Glavni urednik: prim. dr Momir Pušac Izvršna urednica: Anđa S. Ilić Tehnički urednik: Sretko Bojić; Lektor: Biljana Kuruzović

Stručno naučni konzilij redakcije: akademik prof. dr Miodrag Ostojić, akademik prof. dr Miodrag Čolić, akademik prof. dr Drenka Šećerov-Zečević, akademik prof. dr Duško Vulić, akademik prof. dr Enver Zerem, prof. dr Zoran Popović, prof. dr Miodrag Jevtić, prof. dr Vaso Antunović, prof. dr Danica Grujičić, prof. dr Ljiljana Vujotić, prof. dr Srboljub Golubović, prof. dr Duško Vasić, prof. dr Zdenka Krivokuća, prof. dr Senad Mehmedbašić, prof. dr Sandra Lazarević, mr. sc. ph. Pero Rokvić, mr. ph. Nataša Grubiša, prof. dr Snežana Pejičić, dr sc. med Slavica Žižić-Borjanović, prof. dr Nebojša Kavarić i prof. dr Elizabeta Ristanović.

Stručni savjet redakcije: prim. dr Lela Popović, prim. dr Slavko Dunjić, prim. dr Mira Popović, mr. ph. Dragana Reljić, dr Rade Dubajić, dr Danica Mihajlović, mr Živana Vuković-Kostić, mr. sci. med. dr Branislav Lolić, prim. dr Boro Gužvić, dr Goran Račetović i Željko Derajić.

Redakcija: 78000 Banja Luka, Branka Ćopića 15, Tel: +387 (0)51 318 606, +387 (0) 65 603 346; e-mail: medicicom.com@gmail.com; www.medicicom.com

Izdavač: “Udruženje Medici.com” Banja Luka, Branka Ćopića 15

Direktorica: Vera Pušac

Prodaja, marketing, promocija u BiH: Jelena Pušac Broćilović

Promocija i marketing u inostranstvu Beoimpex AD Beograd tel. +381 11 38 09 715

Pravni savjetnik: Advokat dr Jovana Pušac, Banja Luka, tel. +387 65 692 377

Vaš “Medici.com” Vera Pušac, direktor

I sutona celog sneg je tiho pado, umoran i gust

Večeras bih nekog ugledala rado; ali njega nema, put je davno pust!

Samo s bledog neba beloj zemlji sleće

Snežni pram po pram.

O, kako je bolno pred noć kada cveće Pahuljica veje, a ti sediš sam. („U zimski dan“, Desanka Maksimović)

Foto: Bojan Crnokrak, tel. 066/454-211; Štampa: ”Atlantik bb” Banjaluka

Tiraž: 2.000 127. broj izlazi u februaru 2025. godine

Rješenjem Ministarstva prosvjete i kulture RS broj 6-09-3783/03 od 25.09.2003. upisano u Registar javnih glasila pod r. br. 430. Svako umnožavanje, reprodukovanje i kopiranje dijela ili cijelog materijala iz časopisa i www izdanja dozvoljeno je isključivo uz pismenu saglasnost izdavača.

Vodeći svjetski grudni hirurg dr Diego Gonzalez Rivas već tri godine uspješno sarađuje sa Univerzitetskim kliničkim centrom Republike Srpske i zajedno sa ljekarima Klinike za torakalnu hirurgiju izvodi komplikovane operativne zahvate.

Ugledni stručnjak iz Španije, pionir i promoter minimalno invazivne grudne hirurgije, 28.11.2024. godine, zajedno sa ljekarima Klinike za torakalnu hirurgiju na čelu sa dr Markom Kantarom, izvodio je nekoliko komplikovanih hirurških zahvata, među kojima je i resekcija ušća i rekonstrukcija distalnog puta.

Grudni hirurg dr Diego Gonzalez Rivas rekao je da je UKC Republike Srpske, odnosno Klinika za torakalnu hirurgiju, najnapredniji centar grudne hirurgije za minimalno invazivnu hirurgiju u regionu. On je izrazio nadu da će sa ovim timom uskoro pokrenuti primjenu robotske hirurgije te početi sa uniportal robotskim treningom za koji je on instruktor i pionir takve vrste hirurgije u svijetu.

„Platforma na kojoj rade vaši ljekari je najbolja platforma na tržištu, što se tiče opreme imate sve što podrazumijeva standarde kompleksne i minimalno invazivne hirurgije“, rekao je dr Rivas. On je ocijenio da tim ljekara torakalne hirurgije jako brzo uči i da već rade i mogu raditi samostalno i kompleksne slučajeve minimalno invazivnim putem uniportal vats hirurgijom. „Ova bolnica je, po mom , na najvišem nivou na cijelom Balkanu, ne samo u BiH“, rekao je Rivas.

Generalni direktor UKC Republike Srpske prof. dr Vlado Đajić rekao je novinarima da je ponosan da je najbolji torakalni hirurg na svijetu Diego

Klinika za grudnu hirurgiju UKC RS

Dr Diego Gonzalez Rivas

vodeći svjetski grudni hirurg

Gonzalez Rivas ponovo u Banjaluci. „Da pojednostavim, kao da je Kristijano Ronaldo došao u Borac da igra i uči naše fudbalere i prenosi svoje znanje. Ovo je velika korist za UKC, za pacijente i stanovnike Republike Srpske“, rekao je prof. Đajić.

On je istakao da je ponosan na tim ljekara Klinike za torakalnu hirurgiju koji je sve organizovao i uspio da ostvari uspješnu saradnju sa najboljim torakalnim hirurgom na svijetu. „Veliko hvala našem timu, veliko hvala doktoru Diegu

što dolazi u Banjaluku i uči naše ljekare“, rekao je Đajić.

Načelnik Klinike za torakalnu hirurgiju dr Marko Kantar rekao je da je doktor Rivas deveti put u UKC-u, ističući da je tim ljekara Klinike za torakalnu hirurgiju usvojio većinu, ako ne i sve kompleksne endoskopske operacije koje ih doktor Rivas uči.

„Pošto je edukacija kontinuiran proces i stalno dobijamo nove, mlade doktore ovo je idealna prilika da svi naučimo nešto novo, ovaj put neke nove

određene poteze, u svakom slučaju, velika je čast i privilegija uopšte raditi i imati kontakt sa dr Rivasom“, rekao je dr Kantar.

On je dodao da su saradnjom sa doktorom Rivasom na izvoru informacija sa najnaprednijom grudnom hirurgijom na svijetu.

„Imamo kontakte sa dr Rivasom, posjetili smo Kinu, trening centar u kojem dr Rivas vodi edukaciju, tako da imamo još mnogo planova i ovaj put smo našli odlične slučajeve i planiramo da uradimo pet do šest komplikovanih operacija“, rekao je dr Kantar, dodavši da se radi o minimalno invazivnoj hirurgiji.

Dr Kantar je rekao da se danas radi kompleksna sliv operacija - resekcija ušća i rekonstrukcija distalnog puta, vrlo komplikovana operacija koja, kako je rekao, do prije nekoliko godina ovdje nije rađena uopšte ne samo ovdje, već u cijelom regionu.

„Imali smo priliku raditi rekonstrukcije plućne arterije koja je najkompleksniji krvni sud za rekonstruisati i to smo sve prošli sa dr Rivasom. Jako je važno da smo mi naučili da napravimo vaskularnu kontrolu arterije i to endoskopskim putem, a kad dostignete taj nivo grudne hirurgije onda možete praktično sve uraditi“, rekao je dr Kantar.

On je dodao da se broj operacija u zadnjih sedam do osam godina povećao 15 puta, te da su sad na 300 samo endoskopskih operacija godišnje, dok, kako je rekao, prije nekoliko godina endoskopska hirurgija nije rađena uopšte.

„Prvi smo u regionu u Jugoistočnoj Evropi uradili non intjubejtid hirurgiju, bez tubusa, intubacije u jednoj plitkoj anesteziji, skoro u lokalnoj anesteziji i resekcije dušnika i pluća. To je nešto što je ekskluziva ovdje kod nas, nijedan centar u okolini ne radi to“, rekao je dr Kantar.

Pripremili: saradnici za informisanje UKC RS

Kod novorođenčeta u drugom danu života Urađena kompleksna

rekonstrukcija multiple urođene anomalije crijeva

Učinjen je veliki iskorak u hirurškom liječenju naših najmlađih pacijenata u Klinici za dječju hirurgiju. Po prvi put u UKC Republike Srpske urađena je kompleksna rekonstrukcija multiple urođene anomalije crijeva kod novorođenčeta u drugom danu života.

Sumnja na anomaliju je uspostavljena tokom trudnoće, što je nakon rođenja potvrđeno i radiografskim nalazom. Ustanovljeno je da novorođenče ima slijepo zatvoreno dvanaestopalačno crijevo (atrezija duodenuma) kao i slijepo završeno debelo crijevo (atrezija anusa).

Hirurzi Klinike za dječju hirurgiju su uradili rekonstrukciju atrezije duodenuma izvo-

đenjem crijevne anastomoze, a zatim je kreirana i crijevna stoma kao mjera privremene derivacije stolice do definitivne rekonstrukcije atrezije anusa.

Postoperativni tok je protekao uredno, uz adekvatno tolerisanje hrane, te je novorođenče u 14. danu nakon operacije otpušteno na kućno liječenje, na veliku radost roditelja i familije.

Poduhvat su po prvi put izveli domaći stručnjaci, predvođeni načelnikom klinike dr Aleksandrom Brkovićem, uz nesebičnu pomoć konsultanta doc. dr Blagoja Grujića iz Instituta za zdravstvenu zaštitu majke i deteta Srbije „Dr Vukan Čupić“. Uspjehu su dodatno doprinijeli koleginica dr Emilija Došlov Šeka-

ra, kao asistent, te instrumentarke Nikolina Slijepčević i Dijana Tomić i anesteziolog dr Predrag Berić, kao i druge kolege.

Za kraj, riječi mudrog Fjodora Mihajloviča Dostojevskog:

„Duša se liječi vremenom provedenim sa djecom.“

Potpredsjednik Vlade Republike Srpske i ministar zdravlja i socijalne zaštite Republike Srpske Alen Šeranić, uz podršku Ambasade BiH u Mađarskoj, prisustvovao je neformalnom sastanku ministara nadležnih za demografska pitanja, koji je održan 19. novembra u Budimpešti, u okviru mađarskog predsjedavanja Savjetom Evropske unije u 2024. godini. Pored ministara zemalja članica EU, sastanak je okupio i ministre zemalja Zapadnog Balkana i predstavnike zemalja Evropskog ekonomskog prostora, a diskusije su usmjerene na dva glavna aspekta demografije: međugeneracijsku solidarnost i podršku mladima.

Tokom prvog dijela sastanka, u fokusu su bili načini postizanja međugeneracijske saradnje i pozitivni efekti koje ona može imati u rješavanju demografskih izazova. Razgovaralo se i o mjerama koje mogu da promovišu aktivno starenje i očuvanje zdravlja starijih ljudi, posebno njihovog mentalnog zdravlja, kao i o načinima da se bolje iskoristi potencijal starijih ljudi u svjetlu promjenljive demografske realnosti. Drugi dio diskusije bio je posvećen pitanjima podrške mogućnostima stanovanja i zapošljavanja mladih ljudi, kao i njihovog blagostanja, sa posebnom pažnjom na mentalno zdravlje. Učesnici su razmijenili primjere dobre prakse i mjere politika iz svojih zemalja te ideje o različitim demografskim izazovima sa kojima se suočavaju širom Evrope.

Ministar Alen Šeranić je u svom izlaganju istakao značaj brige i solidarnosti prema svim članovima porodice kako mladima, tako i starima, kao i institucionalnog angažmana i podrške unapređenju kvaliteta života starijih osoba. Prisutne je upoznao da je na prijedlog Ministarstva zdravlja i socijalne zaštite Republike Srpske usvojena Strategija za unapređenje položaja

u Budimpešti

Demografski izazovi

starijih lica u Republici Srpskoj za period od 2019. do 2028. godine.

„Vizija Strategije predviđa da se starija lica poštuju i uključuju kao resurs u zajednicu sa svim svojim kapacitetima i kvalitetima, uz održiv sistem integrisanih usluga koje podržavaju zdravo i aktivno starenje i unapređuju kvalitet života starijih. Ta vizija se može ostvariti kroz bolju informisanost starijih i visok senzibilitet lokalnih zajednica, te sprovođenjem aktivnosti, uz ravnopravno učešće svih starijih osoba u svim oblastima života“, rekao je ministar Šeranić, obraćajući se prisutnima.

Po njegovim riječima, Republika

Srpska posvećuje veliku pažnju populacionoj politici, uključujući brojne mjere podrške trudnicama i porodiljama, porodici i djeci te je jedna od onih koje žele da prate tzv. mađarski model populacione politike i pomoći mladima, prilagođavajući je svojoj situaciji i mogućnostima.

Ministar Šeranić je istakao i značaj ovog sastanka, s obzirom na to da sudbina i budućnost Evrope, kao i svakog pojedinačnog evropskog naroda, leži u ozbiljnom i studioznom pristupu ovim i pratećim sociološkim i ekonomskim pitanjima, te je čestitao Mađarskoj na proaktivnoj ulozi koju je pokazala u vezi sa demografskim izazovima.

Брчком је недавно одржана завршна конференција Пројекта ”Јачање интегритета у процесу креирања листа лијекова у Босни и Херцеговини” у организацији мрежа удружења пацијената „Право на

лијек“. На конференцији су представљени резултати пројекта, који су већ донијели значајне помаке у Републици Српској, Федерацији БиХ и Брчко дистрикту БиХ. Примјера ради, Фонд здравственог осигурања РС је био први фонд у БиХ који је уважио сугестије Мреже удружења пацијената и у Правилник о условима и поступку за стављање лијекова

ници Фонда здравственог осигурања, тачније Сања Кецман, руководилац Одјељења за лијекове и програм лијекова.

„Фонд здравственог осигурања настоји да у свом раду ослушкује потребе осигураника. Наш циљ је да створимо систем који одговара потребама пацијената и да са новцем са којим располажемо одговорно управљамо, вoдећи рачуна о свакој категoрији

дистрибуиране по амбулантама изабраног доктора специјалисте гинекологије и акушерства на примарном нивоу здравствене заштите. Наиме, на приједлог предсједнице Удружења гинеколога и опстетричара Српске и начелнице Клинике за гинекологију и акушерство УКЦ РС Весне Ећим Злојутро

књижица

удружења и ресорног

коју је финансирао Популациони фонд Уједињених

основу којег је урађен Протокол о акушерству и приједлог како треба да изгледа трудничка књижица. Такође, трудничка књижица биће доступна и у електронском облику, тачније у Ин-

тегрисаном здравственом информационом систему (ИЗИС).

осигурања РС од 1. октобра свим трудницама које имају упутни-

Предност трудничких књижица огледа се у томе што ће сада трудница у сваком тренутку имати трудничку књижицу у којој ће бити уписани сви битни подаци у вези са трудноћом што ће значајно допринијети ефикаснијој заштити здравља будућих мајки и беба, тако да је и циљ да трудничке књижице, осим у ИЗИСу, трудницама буду доступне и у штампаном облику, управо како би им у сваком тренутку биле на располагању.

Начелник Клинике за гинекологију и акушерство УКЦ-а Републике Српске Весна Ећим Злојутро

иректор Фонда здравственог осигурања Републике

Српске Дејан Кустурић

одржао је данас састанак с Активом директора домова здравља на којем су разматрани планови за

наредну годину, са посебним фо-

кусом на финансирање примарне здравствене заштите. „Наш циљ је да заједничким

и партнерским радом унаприједимо примарну здравствену заштиту. Само на тај начин можемо очувати наш здравствени систем и, уз стратешки приступ и адекватно планирање, постићи позитивне промјене,“ истакао је Кустурић. Тема састанка била је и актуелна финансијска ситуација, будући

да Фонд, а самим тим и здравствени систем у цјелини, зависи

од једног извора финансирања –

доприноса за здравствено осигурање. И поред тога, Фонд је успио

да сваке године повећава средства

за примарну здравствену зашти-

начин, како је наведено на састанку, жели се постићи максимална заштита права осигураних лица. Такође, разговарало се и о Интегрисаном здравственом информационом систему и колико је важно да сви подаци буду унесени у ИЗИС-у ради адекватног праћења рада здравствених установа, али

и будућих анализа које су неопходне за било какво стратешко планирање из ове области.

Будући да тимови породичне медицине заказују прегледе маг-

нетном резонанцом и компјутеризованом томографијом,

заштити оне категорије друштва које су од социјално медицинског значаја да несметано и у континуитету могу да користе здравствену заштиту”, истакао је Секулић. Иначе, годишња издвајања ФЗО РС за лијекове и потрошни материјал за обољеле од дијабетеса износе више од 37,6 милиона КМ, не рачунајући лијечења, медицинска средства

компликације. Дакле, Фонд здравственог осигурања Републике

рања права обољелих од дијабетеса, а све у циљу унапређења

медицине, истакао је замјеник директора Фонда здравственог осигурaња РС Александар Секулић на XIX данима породи-

чне медицине са међународним учешћем под називом „Креирај своју будућност“. За разлику од неких ранијих година, када су издвајања за примарну здравствену заштиту била знатно мања, Фонд је у овој години за овај вид здравствене заштите планирао скоро око 199 милиона КМ.

„Међутим,

родитеља уз дијете, што укључује трошкове пута и смјештаја. Из тог разлога није јасно

због чега се и даље у медијима

покрећу хуманитарне акције за

прикупљање помоћи под изго-

вором да су, иако Фонд солидар-

ности финансира лијечење, породици потребна додатна средства

да би родитељи могли бити у пратњи дјетета. Фонд солидарности „Душа дјеце“ поново позива родитеље и хуманитарне организације, као и медије, да се код покретања

дини пацијентима у породичној медицини доступне неке нове услуге, попут ултразвука, спирометрије и дермоскопије, што раније није био случај. На научном скупу, који је окупио више од 250 стручњака, говорило се о најновијим сазнањима

ти (лијечење, насатавак лијечења, контрола, генетика, рефундација и слично) те колико износи стање

на рачуну и др. Подсјећамо, Фонд солидарности

из области ургентних стања, неу-

Дана 12. новембра 2024. године, у Банском двору у

Бањалуци, одржана је Свечана скупштина Коморе доктора медицине Републике Српске.

Награђени у 2024. години

ВЕЛИКИ ПЕЧАТ КОМОРЕ

ДОКТОРА МЕДИЦИНЕ РЕПУБЛИКЕ СРПСКЕ се додијељује за

дугогодишњи предани рад, стручни, педагошки и научни, којим се наставља традиција и вриједност струке у оквиру Коморе. Добитник ВЕЛИКОГ ПЕЧАТА КОМОРЕ доктора медицине Републике Српске за 2024. годину је проф. др Дејан Бокоњић, Медицински факултет у Фочи ХИПОКРАТОВО ПРИЗНАЊЕ је награда за животно дјело, а додјељује се доктору медицине за врхунске резултате у дугогодишњем раду. Добитник овогодишњег ХИПОКРАТОВОГ ПРИЗНАЊА је прим. др Милорад Шупић, ЈЗУ Болница „Србија“ ПОВЕЉА ЗА НАУЧНОИСТРАЖИВАЧКИ РАД додјељује се активним члановима Коморе за изузетне резултате постигнуте у области научноистраживач-

Свечана скупштина

Републике Српске

вима Коморе за изузетну организацију редовне здравствене контроле, као и постигнуте успјехе у превенцији нарушавања здравља становништва, ПОВЕЉА ЗА ПРИМАРНУ ЗДРАВСТВЕНУ ЗАШТИТУ, додјељује се активним члановима Коморе за изузетну организацију редовне здравствене контроле, као и постигнуте успјехе у превенцији нарушавања здравља становништва те ПОВЕЉА ЗА НАЈБОЉЕ РЕЗУЛТАТЕ ПОСТИГНУТЕ НА СТУДИЈАМА МЕДИЦИНЕ, а додијељују се најбољим свршеним студентима медицине у протеклој школској години. Примарна здравствена заштита

Дом здравља Прииједор

Прим. др Далиборка Рајлић

Вукота, ЈЗУ Дом здравља Приједор

Организација здравствене службе

Мр сц. мед. Татјана Гавриловић Елез; ЈЗУ Универзитетска

болница Фоча

Др сц. мед. Николина Дукић; ЈЗУ Универзитетска болница Фоча

Др Драженка Грубач; ЈЗУ Бол-

ница Требиње

Др Сузана Милутиновић; ЈЗУ

Дом здравља Љубиње

Мр сц. мед. Јадранка Пешевић Пајчин; ЈЗУ Дом здравља

Лакташи

Прим. др Весна Глигоревић

Живановић; ЈЗУ Болница

Бијељина

Др Слађана Продановић Јањић; ЈЗУ Болница Зворник

Прим. др Биљана Мајсторовић; Институт за физикалну медициу, рехабилитацију и ортопедску медицину

Прим. др Десанка Цвијетић ;

ЈЗУ Болница Добој

Прим. др Младен Пећанац; ЈЗУ

Болница Добој

Др

Banja Vrućica, oaza u vanredno romantičnom prirodnom ambijentu, svojim bokovima meko naleže na grad Teslić, čineći tako spoj za pamćenje. Pred njom se živopisno širi dolina oivičena širokim spletom brežuljaka i planinskih venaca Borja. Prirodne lepote, obilje hipertermalne mineralne vode i savremeni smeštajni objekti, čine Banju Vrućicu najvećim i najlepšim zdravstveno-turističkim centrom u BiH, a i mnogo šire. Smeštena je u prekrasnom prirodnom okruženju, specifičnih klimatskih uslova, na nadmorskoj visini od 230 metara, a udaljenoj svega 3 km od centra Teslića. Prostire se na 75 hektara uređene površine sa 7km, takođe uređenih šumskih staza za duge šetnje ili vožnju biciklom. U Banjii Vrućici, svaki korak lagane šetnje postaje opuštajuća avantura kroz čistu prirodu. Nikla je iz prirode i ugnezdila se u njenom srcu, odakle i dolazi njeno najveće blago - voda. To je termomineralna voda visokog kvaliteta i isceliteljskih moći. O kvalitetu vode sa izvora, pored potoka Grabovca, gde se danas uzdiže Banja, pronose se priče od davnina da je zdrava, da otklanja bolove i da podmlađuje. Priča o njenim lekovitim vodama pronela se širom sveta. Dolazeći iz većih dubina, greje se o tople stene, rastvara minerale i tako dobija na svojoj snazi i lekovitosti.Temperatura na izvoru je 36 stepeni, dok je u bazenima i banjama 32 stepena, što je njena prirodna temperatura bez hlađenja.

Snaga i lepota prirode jasno se osete na svakom koraku. Potpuna posvećenost gostima počinje od smeštaja. Bez obzira na to koji od četiri hotela odabrali, uvek možete računati na isto - na udobnost, na spokoj i toplu uslugu na najvišem nivou. Verujte u takav pristup. To je pristup od srca. Njen repre-

ZTC Banja Vrućica

Lider zdravstvenobanjskog turizma

Novi iskorak u pružanju zdravstvenih usluga

zentativni i prestižni hotel je ‚‚Kardial’’. Danas ima četiri zvezdice, 196 soba i 337 ležajeva. Ima i kongresni centar kojeg čini kongresna dvorana i pet salona, kapaciteta od oko 600 mesta. Svi saloni opremljeni su prema evropskim standardima, modernom opremom i posebnom pažnjom, usmerenom na akustiku, prateću opremu i klimatizaciju. Tu su i fiksni projektori i platna, kompletna audio i video-oprema za simultano prevođenje, za multimedijalne prezentacije, osvetljenje koje omogućava video-snimanja, a što govori da će sve potrebe korisnika biti u potpunosti ispunjene. To ih čini jednim od najvećih kongresnih centara u državi. Gotovo sve najveće međunarodne organizacije sa sedištem u BiH boravile su i radile u ovom kom-

pleksu, kao i mnogobrojne ambasadę, nevladine i vladine organizacije. Brizi o zdravlju treba dodati i notu uživanja u prelepom velnes centru, koji je smešten u ”Kardialu”. Velnes centar „Stara Banja’’ prostire se na 1.600 kvadratnih metara zatvorene površine i 5.500 otvorene površine u letnjim mesecima. Ponuda velnesa podeljena je na nekoliko celina: na svet vode, svet sauna, svet masaža, spa beauty i medical wellness-a. Ukoliko postoji čarolija na ovom svetu, onda je ona u svetu voda Banje Vrućice, a ogleda se u zatvorenom i otvorenom bazenskom kompleksu sa termomineralnom vodom, koji telu pruža okrepljujući osećaj. Svet sauna podrazumeva orijental, bio, fińsku i infra red saunu, dok svet masaza sadrži medicinsku, sportsku, holističku, aroma masażu… Spa beauti, takođe nudi široku lepezu nege lica, tela, kose i noktiju. Medical wellness pomoći će da se uz akupunkturu, tretman zelenim algama i mineralnim kupkama, vrati balans umornom organizmu. Ovde srce jednostavno mirnije kuca! Umirujući ambijent, dodir prirode kroz tretmane u ponudi, kao i nežan dodir terapeuta, zajedno čine posebno iskustvo odmora i predaha. A tako je već generacijama! U banjskom kompleksu, pored ‚‚Kardiala’’, su i Hotel „Srbija”, Hotel „Posavina” te Hotel „Hercegovina”, koji ima i stacionarnu medicinsku jedinicu. Kroz sveukupno trajanje čovek koristi darove majke zemlje, a posebno lekovite. Kada prepoznamo lekovite darove, usaglasimo ih sa znanjima savremene medicine te tome dodamo lični napor ka dugotrajnom i kvalitetnom životu, dobijemo Banju Vrućicu! Život joj udahnjuje izvor termalne vode čiju su lekovitost cenili i naši preci, a savremena medicina iskoristila za lečenje i tela i duše čovekove. A kada brinete o zdravlju, onda birate najblje, a to je zdravstveni program Banje Vrućice. Duže od jednog veka ova banja važi za

Piše: Vera Pušac

oazu najkvalitetnije zdravstvene nege. Danas je to tačnije nego ikada! U vremenima kada je zdravstvena usluga sve teže dostupna, u Banji se može dobiti veoma kvalitetna, brza, kompletna i potpuno zaokružena zdravstvena usluga, počevši od prevencije, preko dijagnostike, operativnih zahvata, pa sve do rehabilitacije, sa korišćenjem lekovite termomineralne vode kao nezaobilaznog faktora.

Novi iskorak u pružanju zdravstvenih usluga Ova, 2024. godina ostaće upamćena u istoriji Banje Vrućice kao godina u kojoj je napravljen veliki iskorak u pružanju zdravstvenih usluga. U novom objektu „Hercegovina-blok B“ koji će biti otvoren do kraja ove, 2024. godine, nalazi se veliki dijagnostički centar sa magnetnom rezonancom, CT-om i dve operacione sale te ambulante u kojima će se vršiti brojni specijalistički pregledi. To je najveća investicija u poslednjih pet godina. Dijagnostički centar opremljen je najmodernijom tehnologijom koja omogućava brzu i preciznu dijagnostiku različitih zdravstvenih stanja. Centar nudi širok spektar usluga, uključujući magnetnu rezonancu, CT skener, ultrazvučne i endoskopske preglede. Siemensova MRI od 1,5T pruža visokokvalitetne slike koje omogućavaju detaljnu analizu mekih tkiva, kostiju i drugih struktura unutar tela. Pored toga, CT aparat Siemens Somatom Go Top 64 Slice omogućava brze i precizne preglede, pružajući dvodimenzionalne i trodimenzionalne slike koje su ključne za pravilnu dijagnostiku. Tu su i angioskopije za vizuelizaciju krvnih sudova, što pomaže u dijagnostici cirkulatornih stanja. Na usluzi su takođe i kardiološ-

ke neinvazivne dijagnostičke procedure, kao ergometrija, ultrazvuk srca, EKG i Holter monitoring (krvnog pritiska i srčanog ritma), koje omogućavaju detaljno praćenje i analizu stanja srca pacijenata. Dijagnostički centar pruža pravovremenu dijagnostiku i pravilan plan lečenja. Operacioni blok je opremljen najsavremenijom medicinskom opremom gde se obavljaju procedure

Dr Dragan Bogdanić, generalni direktor ZTC Banja Vrućica

iz ortopedske, opšte i plastične hirurgije sa minimalno invazivnim zahvatima, čime se smanjuje bol, rizik od komplikacija i brži je oporavak pacijenta. Tu su dve operacione sale i sala za male intervencije sa staklenim modularnim zidovima. Organizovane su prema najnovijim standardima radnog protoka.

Specijalistički pregledi su ključni korak u očuvanju i unapređenju zdravlja. Oni pomažu ranom otkrivanju i pravovremenom lečenju bolesti. U Banji Vrućici veliki je broj stručnjaka i širok spektar specijalističkih pregleda: pregled kardiologa, interniste, fizijatra, pulmologa, ortopeda, reumatologa, radiologa, hirurga, neurohirurga, estetskog hirurha, oftalmologa, gastroenterologa, endokrinologa, dermatovenerologa, ginekologa te pregled psihijatra!

Laboratorija je prvi uslov za kompletnost dijagnostičkog centra. Upravo moderno opremljenu, efikasnu i pouzdanu u izradi kompletne analize krvi i urina te biohemijskih analiza i tumor markera, ima dijagnostički centar, kao krucijalne osnove za brzo i tačno uspostavljanje dijagnoze.

Mnogi domaići i inostrani gosti, tokom boravka u Banji, iskoriste priliku da urade i sve potrebne stomatološke usluge i vrate se kući sa zdravijim zubima i lepšim osmehom. U savremeno opremljenoj stomatološkoj ambulanti mogu se obaviti usluge konzervativne stomatologije (popravke, lečenje i vađenje zuba), endodoncije, dečje i preventivne stomatologije, paradontologije i oralne medicine, protetike, kao i usluge estetske i antiaging medicine.

Banja Vrućica prednjači u zdravstvenom turizmu, primenjujući holistički pristup zdravlju, sa širokim spektrom preventivnih, zdravstvenih, kao i usluga rehabilitacije, a naročito rehabilitacije kardiovaskularnih bolesnika. Inače, veoma su retke banje koje se bave rehabilitacijom ovih bolesnika, s obzirom na to da je to najrizičnija grupa i njihova rehabilitacija traži specifične uslove. Termomineralna voda u srcu prirode u kojoj se Banja ugnezdila, specifičnih je karakteristika i jedna je od retkih koja dozvoljava srčanim bolesnicima da je koriste. Voda Banje Vrućice pripada kategoriji kalcijum-natrijum-hidrokarbonatnim-hloridnim-ugljenokiselim-fluoridnim, mineralnim, hipertermalnim vodama. Mineralno vrelo sadrži visoku koncentraciju negativnih jona, koji uzrokuju osećaj fizičkog i psihičkog blagostanja. Ona se može koristiti za banjanje u kadama za hidroterapiju u bazenu, ali se može i piti, inhalirati ili nanositi na kožu kao oblog. Sva lekovitost prirode sada je spojena sa svim što savremena medicina nudi. Stručno medicinsko osoblje, usavršen način rada i najmodernija oprema, podigli su zdravstvenu uslugu Banje Vrućice na višu lestvicu,

na još jedan korak ka savršenom banjskom iskustvu. Ovde je zdravlje u srcu svih medicinskih delatnika, a naročito zdravlje posetilaca Banje, bili oni turisti ili pacijenti.

Sa novom klinikom, Banja je sada mesto gde se może zaokružiti potpuna medicinska usluga – od prevencije, dijagnostike, preko tretmana, zahvata i operacija, pa sve do postoperativne nege, oporavka i rehabilitacije. Proces rehabilitacije se obavlja u modernom terapeutskom centru koji se prostire na 4.500 kvadratnih metara. Reč je o komfornom, luksuzno opremljenom, klimatizovanom i bez arhitektonskih barijera prilagođenom prostoru. Svi hoteli u kompleksu Banje Vrućice povezani su podzemnim hodnicima sa terapijskim centrom.

Medicinska rehabilitacija, pre svega, podrazumeva kardiovaskularnu rehabilitaciju, jer se još od 1959. Banja Vrućica bavi lečenjem i rehabilitacijom kardiovaskularnih pacijenata. Rehabilitacija se provodi u salama opremljenim za jutarnje vežbe, za intervalni trening, a između toga i trening šetnje po uređenim stazama, a sve uz nadzor visokoobučenih terapeuta za rad sa kardiološkim pacijentima. Tajna uspešnog lečenja i rehabilitacije srčanih bolesnika u Banji Vrućici je u lekovitoj termomineralnoj vodi, jedinstvenoj u ovom delu Evrope. Ona je zbog svog sastava i temperature prava blagodet, jer rasterećuje srce kao pumpu, što, opet, omogućava poboljšanje cirkulacije u krvotoku. Time se obezbeđuje rehabilitacija srca, odnosno celog krvotoka! Tu je i Fizijatrijsko-reumatološka re-

ružom vetrova, kao i lekovita svojstva termomineralne vode, vežbe disanja i istezanja, vežbe hodanja kroz uređene staze koje se protežu kroz šumu Čubrin gaj, kao i slana soba, daju odlične rezultate u ovoj vrsti rehabilitacije.

nost i unapredile svoje zdravlje, kao i za oporavak osoba koje su izložene težim fizičkim naporima prilikom profesionalnog ili amaterskog bavljenja sportom. U Hotelu „Hercegovina“instalisane su dve hiperbarične komore.

habilitacija, koja uz pomoć fizikalne i rehabilitacijske medicine, uz korišćenje blagotvorne termomineralne vode, olakšava tegobe i poboljšava kvalitet života. U Banji se provodi i Pulmološka rehabilitacija, jer specifični uslovi mikroklime, čist vazduh i veliki broj šuma kojima je Banja okružena, sa pogodnom

Svakako da se ovaj vrhunski nivo Banje bavi i balneo terapijom. Kupanje u ovoj blagotvornoj vodi, preporučuje se kod bolesti krvnih žila, oboljenja zglobova, tetiva, mišića, probavnih, ginekoloških, pa i psihosomatskih bolesti. Termomineralna voda Banje pomaže i u oslobađanju od stresa, umora, loše koncentracije i pamćenja, razdražljivosti i bezvoljnosti te tako ublažava bolove i poboljšava i fizički i mentalni kvalitet života.

Ovim rehabilitacionim metodama dodaćemo i hiperbaričnu komoru, koja se zasniva na prirodnom leku - čistom medicinskom kiseoniku, i koristi se kao osnovna ili kao dodatna terapija onda kada je došlo do deficita u transportu kiseonika. Komora pomaže osobama koje boluju od dijabetesa, polineuropatije, psorijaze, a ova terapija primjenjuje se i nakon moždanog i srčanog infarkta. Efekti su uglavnom brzo vidljivi, posebno kod pacijenata koji boluju od dijabetesa, kod kojih su uznapredovale komplikacije. Ova procedura se preporučuje i zdravim osobama kako bi sačuvale mladalački izgled, vital-

Vredno je istaći da se Banja Vrućica bavi i lečenjem gojaznosti, jer je opštepoznato da je problem gojaznosti poprimio razmere epidemije. Program „Lečenje gojaznosti“ u „Banji Vrućici“ podrazumeva lečenje bez gladovanja, napornog vežbanja, upotrebe suplemenata i jo jo efekta. „Lečenje gojaznosti“ je 14-dnevni program koji se sprovodi u Hotelu „Kardial“, a uz pomoć stručnog osoblja. Zasnovan je na naučnim principima i medicinskim metodama. Svaka godina u Banji Vrućici je stepenica više. Otuda i intencija novim uspesima. Intencija je da u dogledno vreme postane lider u banjskom i zdravstvenom turizmu Jugoistočne Evrope. To će i postići velikim profesionslizmom i posvećenošću, a sve u korak sa evropskim standardima. Već postoje novi poslovni planovi. Nekoliko novih investicija čeka na realizaciju. PA NEKA JE SA SREĆOM ! Zagrljaj lekovite vode i planine iznedrio je Banju Vrućicu, najvećeg i najlepšeg zdravstveno turističkig centra u BiH, a i šire! Banju za srce i dušu!

Bolnica „Sveti vračevi“ u Bijeljini nastavlja da postiže izuzetne rezultate, potvrđujući status jedne od vodećih zdravstvenih ustanova sekundarnog nivoa u Republici Srpskoj. Godina na izmaku donijela je značajne uspjehe, uključujući otvaranje nove angio-sale, uvođenje savremenih procedura i proširenje spektra medicinskih usluga u skoro svim oblastima. Uz podršku Vlade Republike Srpske i planova za dodatno proširenje prostornih kapaciteta, Bolnica izrasta u zdravstveni centar koji prati svjetske trendove, kontinuirano unapređujući usluge i pružajući visok nivo zdravstvene zaštite pacijentima iz cijelog regiona.

Rukovođenje jednom ovakvom zdravstvenom ustanovom velika je čast, ali i odgovornost. Sa pozicije direktora, kako biste ocijenili 2024. godinu za JZU Bolnica „Sveti vračevi“?

Bolnica u Bijeljini je jedna od najvećih zdravstvenih ustanova sekundarnog nivoa, odmah iza Univerzitetskog kliničkog centra Banjaluka po kompleksnosti procedura i obimu rada. Protekla godina bila je veoma uspješna – zabilježen je napredak u gotovo svim oblastima. Izdvojio bih otvaranje nove angio-sale i uvođenje novih procedura u elektrofiziologiji i interventnoj kardiologiji, kao i napredak u laparoskopskoj hirurgiji, gdje sada radimo komplikovanije slučajeve. U urologiji smo uveli fleksibilnu ureterorenoskopiju, što nas čini jednim od vodećih centara za rješavanje kamena u bubrezima u regionu, na šta smo posebno ponosni. U oftalmologiji je značajno povećan broj i spektar operacija, i do kraja godine planiramo uvođenje laseroterapije medical retine, što će biti temelj za otvaranje kabineta za intervencije na zadnjem segmentu oka.

Bolnica ima dva dječja hirurga, uključujući Vas i dr Branku Dakić. Koliko je to značajno za lokalnu zajednicu i kako doprinosi brizi za najmlađe pacijente?

Dva dječja hirurga i obavljanje najsloženijih operacija iz te oblasti je od posebnog značaja za lokalnu zajednicu. Jedina bolnica smo u Republici Srpskoj, osim UKC-a Banjaluka, s ovakvim organizovanim segmentom. Dr Branka Dakić je vrhunski stručnjak. Želim da pomenem da smo pripravni 24 sata. Iduće godine dodijelićemo još jednu specijalizaciju iz dječje hirurgije što je naročito značaj-

Prim. dr Mikajlo Lazić

no za mene kao dječjeg hirurga, jer ću dobiti dva sjajna nasljednika. U saradnji sa Institutom za majku i dete i Tiršovom klinikom, planiramo proširenje starosnog opsega operacija na djecu mlađu od godinu dana.

S obzirom na to da ste priznati i poznati dječji hirurg i pedijatar, da li uspijevate da uskladite obaveze rukovođenja sa strukom?

Dobra organizacija i saradnici ključ su uspjeha. Moji pomoćnici i načelnici odjeljenja rade sjajan posao, što mi omo-

gućava da se posvetim i pacijentima. Iz struke čovjek nikada ne smije da izađe. Imam tačno određeno vrijeme koje je odvojeno za pacijente, za operacije, ambulantu i preglede. Uz dobru organizaciju vremena, može sve da se postigne.

Bolnica je prepoznata po odličnim rezultatima u hirurgiji, sa preko 5.500 operacija godišnje. I obim pružanja medicinskih usluga značajno je povećan, samo na Internom odjeljenju za godinu dana liječilo se preko 7.700 pacijenata, od kojih su trećina kardiološki pacijenti. Kako ocjenjujete ovaj rezultat?

Bolnica je poznata po najkraćem prosječnom periodu hospitalizacije zahvaljujući efikasnom sistemu rada. Većina operacija se zakazuje unaprijed, pacijenti se zadržavaju minimalno, što je savremeni trend u medicini. Veliki broj operacija odradimo po principu dnevne bolnice. Uspjeli smo sa ogrančenim kapacitetima da napravimo veliki promet, što je dobro. Tačno je da imamo veliki broj kardioloških pacijenata i ovo je dobra prilika da posebno pohvalim rad kardioloških timova. Dolaze nam pacijenti iz cijelog regiona zbog nekih procedura koje se na području cijele BiH izvode samo kod nas. Naša angio-sala radi 24

sata, tako da i tu imamo povećan broj pacijenata. Proširujemo obim pružanja usluga novim procedurama iz domena interventne kardiologije i elektrofiziologije. Zahvaljujući prof. dr Lazaru Angelkovu, uvodimo jednu od najsavremenijih metoda rješavanja aritmija u svijetu “Pulse field ablation” koja se izvodi u malom broju zdravstvenih centara i to će nas uzdignuti u sami vrh regionalnih i svjetskih centara.

Za unapređenje svih segmenata rada imate punu podršku Vlade Republike Srpske i Ministarstva zdravlja. Dobili ste od predsjednika Republike gospodina Milorada Dodika obećanje za proširenje prostornih kapaciteta.

Broj ležećih pacijenata značajno je porastao i to zahtijeva proširenje kapaciteta. Moram da napomenem, 2013. godine, kada je otvorena nova zgrada Bolnice, imali smo oko 13.000 ležećih

pacijenata na godišnjem nivou. Međutim, prošle godine smo imali preko 23.000, a ove ćemo imati preko 24.000. To je veliki broj. Jako nas raduje obećanje predsjednika gospodina Milorada Dodika za proširenje, koje planiramo u segmentima nehirurške intenzivne njege, poliklinike i urgentnog centra. Takođe, krećemo u značajan projekat, razvoj neurohirurgije, pa je proširenje neophodno.

Bijeljinska bolnica ima odličnu saradnju sa svim relevantnim institucijama i zdravstvenim ustanovama.

Zahvaljujem se Vladi Republike Srpske, resornom ministarstvu i posebnu zahvalnost upućujem Fondu zdravstvenog osiguranja, jer sve pružene usluge budu pravovremeno finansirane, što nam omogućava efikasno planiranje. Izvanredna je saradnja sa UKC-om Banjaluka i sa drugim bolnicama sekundarnog nivoa, naročito zvorničkom i trebinjskom.

01.10.2024. prof. dr Lazar Angelkov i dr Vladimir Đurić sa timom, nakon obavljenih rekordnih šest krioablacija u jednom danu

Zahvaljujući saradnji sa Helikopterskim servisom Republike Srpske stižu nam pacijenti iz najudaljenijih mjesta. U saradnji je budućnost, treba je njegovati i unapređivati. I sa zdravstvenim centrima u Srbiji nastavljamo odličnu saradnju. Sa Institutom “Dedinje”, Kliničkim centrom Vojvodine, Institutom Sremska Kamenica, odakle je naš redovni konsultant prof. dr Milorad Bijelović. Zahvaljujući njemu, pacijente iz domena grudne hirurgije više ne šaljemo u druge zdravstvene centre. Moram da pohvalim i da izdvojim meni najznačajniju saradnju sa dvije kuće za dječje bolesti iz Beograda, to su Institut za majku i dete i Univerzitetska dečja klinika, sa čijim direktorima i doktorima je saradnja na najvišem nivou.

U avgustu je 16 mladih ljekara započelo specijalizaciju. Koliko je značajno ulaganje u mlade ljekare za budućnost bolnice?

U zadnje vrijeme primili smo dosta novih ljekara. Početkom iduće godine biće raspisan konkurs za specijalizacije skoro iz svih oblasti. Značajno je da ćemo po prvi put raspisati dvije specijalizacije iz neurohirurgije. Plan je da razvijamo i taj segment hirurgije. I, da pomenem, veliki dio posla, pored ljekara, odrade i medicinske sestre i tehničari i bez njih nema kvalitetne zdravstvene usluge. Veliki broj ovog kadra je primljen u prethodnih šest mjeseci na šta sam, takođe, jako ponosan. Radimo korak po korak, kontinuirano unapređujući sve grane medicine. Zadovoljni pacijenti naša su najveća motivacija.

Prim. dr Mikajlo Lazić i dr Aleksandar Janjičić

Affidea/IMC Banjaluka Rak prostate

Karcinom (rak) prostate je jedan od najčešće dijagnostikovanih solidnih tumora kod muškaraca i drugi najčešći uzrok smrtnosti od karcinoma u muškoj populaciji kako u Evropi, tako i Americi. Ovaj tip karcinoma ostaje jedno od važnih zdravstvenih pitanja u godinama koje dolaze, s obzirom na to da se prosječna dužina života povećava, a tretman hroničnih komorbiditeta, kao što su dijabetes i kardiovaskularne bolesti, napreduje. Do 2030. godine očekuje se da će procenat muškaraca starijih od 65 godina dostići oko 20% populacije, a ta starosna dob nosi povećan rizik za karcinom prostate. Jedan od osnovnih faktora rizika za obolijevanje je upravo starosna dob – što je muškarac stariji, veće su šanse za obolijevanje. Najčešće se javlja nakon 65. godine života, dok se rijetko javlja kod muškaraca mlađih od 40 godina, a rizik značajno raste nakon 50. godine života. Genetska predispozicija je drugi važan faktor; ako je više članova porodice imalo ovu dijagnozu, rizik za obolijevanje je povećan. Povećana tjelesna težina, izloženost određenim hemijskim supstancama (npr. arsen), toksinima, takođe spadaju u faktore rizika.

Koji su simptomi raka prostate i koliko je važno rano otkrivanje?

Rani karcinom prostate može biti potpuno asimptomatski, što znači da se bolest može razvijati duži niz godina bez manifestnih kliničkih simptoma. Osnovni klinički simptomi zbog kojih se pacijenti obično javljaju ljekaru su otežano i učestalo mokrenje, slab mlaz urina, bol i osjećaj peckanja tokom mokrenja, a ponekad se javlja i krv u mokraći. Kada se pacijent javi u uznapredovaloj i metastatskoj fazi bolesti, simptomi mogu biti: jaki bolovi u kostima, bolovi u karlici i kukovima te značajan gubitak tjelesne težine i malaksalost.

Imajući u vidu navedene činjenice, rano otkrivanje karcinoma prostate je izuzetno važno. Na taj način bolest se može na vrijeme dijagnostikovati te adekvatnim modalitetima liječenja staviti pod punu kontrolu, uz očuvan kvalitet života pacijenta. Skrining program za rano otkrivanje karcinoma prostate uključuje mjerenje nivoa prostata specifičnog antigena (PSA) u krvi i digitorektalni pregled. Ako je vrijednost PSA značajno veća od normalne, uz suspektan digitorektalni pregled, pacijent se upućuje na biopsiju. Biopsijom se uzi-

ma komadić tkiva prostate za analizu, a patohistološkom pretragom se definiše koji tip promjene se nalazi u prostati.

Koje metode liječenja raka prostate nudi Affidea/IMC Banjaluka?

Možemo se pohvaliti zaista izuzetno visokim nivoom zdravstvene usluge koju pružamo našim pacijentima, oboljelim od karcinoma prostate. Transkutana radioterapija visokosofisticiranim tehnikama kao što su IMRT (intenzitetom modulisana zračna terapija), IMRT Rapid Arc tehnika i SBRT (stereotaktička zračna terapija tijela) osnovni su vidovi liječenja pacijenata u Affidea centru. Pacijenti obavljaju RT tretman na True Beam aparatima najnovije generacije, koji su opremljeni tako da pružaju maksimalnu preciznost prilikom pozicioniranja pacijenta i isporuke radijacione doze. Takođe, radi se svakodnevna provjera preciznosti prije isporuke radijacione doze uz upotrebu CBCT (Cone beam CT). Ovakav način rada pokazuje da naši pacijenti mogu biti sigurni da tretman koji pruža Affidea centar spada u sam vrh radioterapijskih usluga koje se pružaju u našem regionu.

Razgovor sa dr Slavicom Marić, radijacionim onkologom

Kako radioterapija djeluje na rak prostate i u kojim slučajevima se koristi kao glavna terapija?

Radioterapija ili radijaciona onkologija ima vrlo jasan postulat – aplikovati radikalnu dozu na primarni tumor, uz minimalnu isporučenu dozu na okolna zdrava tkiva i organe. Kod radioterapijskog tretmana karcinoma prostate, cilj radioterapije je oštećenje malignih ćelija raka, zaustavljanje njihovog rasta i razvoja te uništenje malignih ćelija. Radioterapija ima izuzetno važnu ulogu u liječenju karcinoma prostate. Istraživanja su pokazala da kod klinički lokalizovanih karcinoma prostate, koji su operabilni, hirurgija i radikalna radioterapija imaju identične rezultate, ali radioterapija pokazuje nešto niže stope toksiciteta i neželjenih efekata. Radioterapija se može koristiti kao jedini modalitet liječenja kod pacijenata niskog rizika, dok se kod pacijenata srednjeg i visokog rizika obično indikuje radioterapija uz hormonsku terapiju. Ova dva modaliteta djeluju sinergijski. Nakon četiri do šest mjeseci terapije LHRH agonistima, nastavlja se liječenje radikalnom zračnom terapijom. Ovakav način liječenja pokazuje izuzetno dobre rezultate i dovodi do dugoročne lokalne i sistemske kontrole bolesti. Nakon radikalne prostatektomije indikuje se i sprovodi adjuvantna radioterapija, zavisno od postoperativnih parametara. Palijativna radioterapija se koristi kod uznapredovale i metastatske bolesti,

uglavnom utiče na smanjenje bola i tretman simptoma bolesti.

Možete li opisati tehnološke inovacije i napredne metode zračenja koje koristite u Affidea/IMC Banjaluka, poput IMRT ili IGRT?

Kao što sam već naglasila, širok spektar radioterapijskih tehnika implementiran je u svakodnevni rad u Affidea centru i rutinski se sprovode duži niz godina zahvaljujući jasno i precizno definisanim internim radioterapijskim protokolima. Prvi pacijent tretiran je IMRT tehnikom u našem centru još davne 2013. godine. Planovi rađeni intenzivno modulisanom radioterapijom omogućavaju stvaranje konkavne dozne distribucije i dozne gradijente sa oštrijim marginama od onih koje su omogućavale tradicionalne metode. Ovakve karakteristike čine IMRT posebno pogodnom za tretiranje kompleksnih radijacionih volumena te izbjegavanje okolnih organa od rizika.

IMRT Rapid Arc tehnika je dominantna u svakodnevnom tretmanu pacijenata sa dijagnozom karcinoma prostate. Kod ove tehnike radijacioni snop se isporučuje kroz rotirajući otvor tretmanskog aparata u jednom ili više lukova, dok simultano mijenja brzinu rotacije, poziciju i oblik tretmanskog otvora te jačinu propisane doze. Ovaj tretman je izuzetno efikasan i traje svega nekoliko minuta. Slikom vođena radioterapija (IGRT) je korak naprijed u još

kvalitetnijem tretmanu pacijenata. IGRT koristi imaging tehnike prije tretmana radi verifikacije adekvatne pozicije pacijenta. Svakodnevni CBCT imaging daje informaciju o pokretima organa i svakodnevnim anatomskim varijacijama, što RT tretman podiže na još viši nivo kvaliteta.

Važno je napomenuti SBRT tehniku, gdje se aplikuju znatno veće radioterapijske doze od standardnih. Ova tehnika se često koristi kod reiradijacije, na primjer, ako je pacijent završio s radikalnim RT tretmanom 2011. godine, a nakon 12 godina dođe do recidiva bolesti, ponovno zračenje može se planirati SBRT tehnikom.

Kakvi su rezultati zračenja prostate u Centru i kako se prati odgovor na terapiju?

Affidea centar ulazi u 15. godinu postojanja i rada. Možemo se pohvaliti zavidnim brojem pacijenata koji su tretirani u našem centru, a kod kojih je postignuta dugogodišnja adekvatna kontrola bolesti. Na osnovu medicinskih baza podataka, petogodišnje preživljavanje kod lokalizovanog karcinoma prostate i lokoregionalno uznapredovalog karcinoma prostate iznosi gotovo 100%. Rezultati zračnog tretmana karcinoma prostate u našem centru u potpunosti odgovaraju ovim statističkim podacima. Nakon završenog zračnog tretmana, naši pacijenti redovno dolaze na kontrolne preglede radi praćenja i evaluacije lokalne kontrole postignute zrač-

nom terapijom. Tokom ovih pregleda pratimo opšte stanje pacijenta, kao i prisustvo ili odsustvo hroničnih neželjenih efekata. Na ovaj način osiguravamo da naši pacijenti mogu biti sigurni u efekat sprovedenog liječenja i da se mogu bezbrižno vratiti svakodnevnim obavezama.

Koji su najčešći neželjeni efekti zračenja raka prostate i kako se oni kontrolišu?

Neželjeni efekti zračne terapije mogu biti akutni i hronični. Akutni neželjeni efekti se obično javljaju tokom sprovođenja zračnog tretmana i uključuju prolaznu malaksalost, umor, otežano mokrenje, bol i pečenje prilikom mokrenja te ponekad promjene u konzistenciji stolice.

Redovne kontrole svake sedmice tokom tretmana služe upravo tome da se na vrijeme uoče eventualni neželjeni efekti kako bismo mogli na vrijeme preduzeti odgovarajuće mjere, uključiti simptomatsku terapiju i izbjeći pauze tokom planiranog tretmana. Pacijentima redovno pratimo vrijednosti krvne slike, uree, kreatinina te, po potrebi, i druge biohemijske parametre.

Hronični neželjeni efekti obično se javljaju četiri do šest mjeseci nakon završetka zračnog tretmana. Simptomi mogu uključivati hronični cistitis, proktitis, probleme sa pasažom crijeva, kao i pojavu fistula ili striktura. U nekim slučajevima, posebno kod pacijenata koji su prethodno imali radikalan operativni zahvat, može doći do limfedema donjih ekstremiteta. Međutim, zahvaljujući visokosofisticiranim tehnikama koje primjenjujemo u našem centru, hronične neželjene efekte vrlo rijetko viđamo.

Koliko traje proces zračenja prostate, od prve konsultacije do završetka terapije? Nakon prvog konsultativnog pregleda i uvida u kompletnu medicinsku dokumentaciju, pacijent se upućuje na CT simulaciju. Nakon CT simulacije, ljekar konturiše radijacione volumene, organe od rizika i daje preporuke za dozu i tehniku zračenja. Nakon toga, medicinski fizičar kreira radijacioni plan, koji se svakog jutra evaluira na sastanku medicinskih fizičara i ljekara. Ukoliko plan zadovoljava sve preporučene parametre, on se prihvata i pacijent se poziva na RT tretman.

Interni protokol našeg centra nalaže da pacijent unutar sedam dana od CT

simulacije započne sa RT tretmanom. Standardni zračni tretman, sa standardnim frakcionisanjem, traje 39 dana –78 Greja u 39 frakcija. Ako se planira hipofrakcionisani tretman, on traje 28 dana – 70 Greja u 28 frakcija. SBRT tretman traje pet dana – 30 Greja u pet frakcija, pri čemu se tretman sprovodi svaki drugi dan. Radijacioni onkolog procjenjuje koji je način frakcionisanja optimalan za svakog pacijenta, primjenjujući individualizovani pristup.

Da li postoje posebne pripreme ili savjeti za pacijente prije početka radioterapije?

Svaki pacijent, prilikom prvog razgovora sa ljekarom, dobije adekvatne informacije o pripremi za CT simulaciju. Affidea centar ima interni protokol za pripremu pacijenata, uključujući adekvatno punjenje mokraćne bešike i pripremu rektuma i crijeva, kako bi radioterapijski plan bio što kvalitetniji. Ljekar pacijentu daje i preporuke o načinu ishrane tokom RT tretmana, kao i opšte preporuke za ishranu pacijenata oboljelih od karcinoma prostate.

Kako Affidea/IMC Banjaluka osigurava visok nivo personalizovane brige za pacijente sa rakom prostate?

Velika pažnja posvećuje se adekvatnim kontrolama i praćenju pacijenata tokom čitavog radioterapijskog tretmana. Svake sedmice pacijenti dolaze na kontrolni pregled tokom trajanja tretmana gdje ljekar, u razgovoru sa pacijentom, prati tok liječenja, bilježi eventualne neželjene efekte i ordinira simptomatsku terapiju ukoliko je potrebna. Redovno pratimo krvnu sliku te po potrebi i druge važne biohemijske parametre, kako bismo pravovremeno mogli reagovati i uključiti odgovarajuću terapiju.

U slučaju potrebe, organizuju se konsultativni pregledi s urologom ili

drugim specijalistima. Pravovremena reakcija na eventualne probleme omogućava nam da preveniramo ozbiljnije neželjene efekte i osiguramo kontinuirano liječenje pacijenta.

Koje su prednosti i mogućnosti tretmana prostate u vašem centru u poređenju sa drugim ustanovama u regiji?

Iz odgovora na prethodna pitanja jasno je da je naš pristup liječenju pacijenata oboljelih od karcinoma prostate u Affidea centru izuzetno ozbiljan i studiozan. Sve odluke donosimo na osnovu jasnih preporuka i institucionalnih protokola, a svaki korak u pripremi pacijenta za RT tretman i u samom sprovođenju terapije jasno je definisan. Pristup svakom pacijentu je individualan, a svaki korak u radioterapijskom lancu je precizno osmišljen i podložan stalnoj internoj evaluaciji. Rezultat takvog pristupa je visokosofistikovan i precizan radioterapijski plan.

Tokom zračnog tretmana naši pacijenti svakodnevno prolaze kroz provjeru pozicije ciljnog volumena i organa od rizika, putem tehnike slikom vođene radioterapije (IGRT), čime je preciznost RT tretmana zagarantovana. Naši pacijenti iz cijele regije prepoznali su kvalitet našeg rada pa imamo veliki broj samofinansirajućih pacijenata iz okolnih zemalja.

Koju poruku biste uputili muškarcima starijim od 50 godina u vezi s preventivnim pregledima prostate?

S obzirom na to da je skrining karcinoma prostate vrlo pristupačan i jednostavan, preporučujemo svim muškarcima starijim od 50 godina da redovno provjeravaju vrijednosti PSA u krvi i obave digitorektalni pregled kod urologa. Rano otkrivanje karcinoma prostate daje dobru prognozu i omogućava pacijentima da se, nakon adekvatnog kursa liječenja, vrate svojim svakodnevnim obavezama.

Često pacijenti ne prekidaju svoje obaveze, već nastavljaju s poslom tokom sprovođenja RT tretmana. Preventivni pregledi su izuzetno važni te je bitno da, u dogovoru sa svojim ljekarom, muškarci stariji od 50 godina odrede dinamiku pregleda, kako bi blagovremeno otklonili bilo kakve sumnje u vezi sa svojim zdravstvenim stanjem.

Medici.com

Ministar zdravlja i socijalne zaštite Republike Srpske Alen Šeranić je rekao da su vakcinacija protiv humanog papiloma virusa /HPV/ i skrining karcinoma grlića materice glavne mjere za smanjenje incidencije ove bolesti. Povodom 17. novembra, Svjetskog dana eliminacije karcinoma grlića materice, ministar Šeranić je na konferenciji za medije, održanoj u Institutu za javno zdravstvo Republike Srpske, rekao da je vakcina protiv HPV-a u zdravstvenom sistemu Republike Srpske u primjeni nešto više od godinu i po dana.

On je ukazao na važnost da se vakcinom protiv HPV-a vakcinišu i djevojčice i dječaci i da o tome ne treba razmišljati.

„Ako imamo dilemu, onda informacije treba da potražimo na relevantnim mjestima“, rekao je ministar Šeranić i pozvao sva strukovna udruženja, koja žele da se priključe aktivnostima promocije vakcinacije protiv HPV-a, da se obrate Institutu.

Vršilac dužnosti direktora Instituta za javno zdravstvo Bojan Đenić je rekao da u Republici Srpskoj, prema

Vakcina protiv HPV-a

Glavna mjera za suzbijanje karcinoma grlića materice dostupna i u Republici Srpskoj

evidencijama Instituta, godišnje od raka grlića materice umre oko 50 žena i dodao da je 2023. godine na liječenju bilo oko 520 žena. Prema njegovim riječima, karcinom grlića materice deveti je najčešći oblik karcinoma u Evropi, a godišnje od ove bolesti umre 28.000 žena.

U Republici Srpskoj s vakcinacijom protiv HPV-a se počelo u martu 2023.

godine i do polovine novembra je prvu dozu vakcine primilo 2.728 djece, od kojih 1.965 djevojčica i 763 dječaka, a drugu dozu 1.228 djevojčica i 450 dječaka. Govoreći o komercijalnoj HPV vakcini, Đenić je rekao da ju je primilo 519 lica, odnosno 480 žena i 49 muškaraca.

On je istakao da je HPV vakcina u Republici Srpskoj besplatna za djecu uzrasta od 11 do 15 godina, a stariji se mogu vakcinisati komercijalnom vakcinom u Institutu u Banjaluci i regionalnim centrima.

Načelnik Službe za epidemiologiju Instituta za javno zdravstvo Republike Srpske Nina Rodić Vukmir je rekla da je vakcina protiv HPV-a u upotrebi 17 godina u Evropi. Ona je dodala da je danas 31 zemlja Evrope uvela ovu vakcinu u svoj nacionalni imunizacioni kalendar.

Dekan Medicinskog fakulteta Univerziteta u Banjaluci Ranko Škrbić je rekao da je ovaj fakultet sa studentima od prve do šeste godine maksimalno uključen u promotivne aktivnosti, koje se obavljaju gotovo svakodnevno. Škrbić je istakao značaj vakcine protiv HPV-a za mladu populaciju, naglasivši da je imperativno da se vakcinišu i djevojčice i dječaci.

„Granica u smislu godina i starosti ne postoji, bilo ko u bilo kojem uzrastu ili godinama može da pristupi vakcinaciji. Imamo vrlo pouzdane, devetovalentne vakcine, posljednju riječ tehnologije, i mislim da bismo morali pojačati naše aktivnosti na promociji programa vakcinacije“, istakao je Škrbić.

Odsjek za odnose s javnošću MZSZ Republike Srpske

Često me poznanici pitaju o lekovima protiv bolova, analgeticima, jer znaju da sam bio naučni savetnik na Odeljenju za anesteziologiju i kontrolu bola u Čikagu. To ih uglavniomn ineresuje zbog bolesnika u porodici, najčešće obolelih od karcinoma. Ovde ukratko iznosim osnovne podatke o lekovima protiv bolova.

Bol, svrab i drugi podražaji služe kao zaštitni fiziološki mehanizam, ali u mnogim kliničkim stanjima, kada se bolovi ili jak svrab ne otklone, nastaju veoma štetne posledice (J BUON 2006;11:143-152). Najbolje je da lekar ustanovi mehanizam nastanka bola jer tako se postiže njegova optimalna kontrola, pogotovo kod bolesnika koji pati od karcinoma jer mu se poboljša kvalitet života.

Postoje tri grupe analgetika: (1) aspirin, ostali nesteroidni protivupalni lekovi (NSAIDs – non-steroidal anti-inflammatory drugs) i acetaminofen; (2) opioidi i (3) pomoćni lekovi (npr. gabapentin, kofein, kortikosteroidi) – oni pojačavaju dejstvo lekova prve i druge grupe, a nekada i sami suzbijaju bol.

Ad 1. Aspirin suzbija zubobolju, glavobolju, bolove u mišićima i zglobovima te snižava povišenu telesnu temperaturu, a efektivan je i kod kancerskog bola. Jedna doza aspirina sprečava zgrušavanje trombocita u toku sedam dana, to produžava vreme krvarenja, a ta doza moze izazvati napad kod astmatičara. Ponovljene doze oštećuju želudac. Aspirin se ne daje deci ispod 16 godina starosti jer može nastati Rejev sindrom – ostećenje mozga i jetre.

Acetaminofen je sličan aspirinu, ali taj lek nije delotvoran kod reumatoidnog artritisa i nema neželjene efekte koji se sreću kod aspirina; mada prevelike doze (4 grama dnevno) dovode do teških oštećenja jetre. NSAIDs (npr. ibuprofen, diklofenak, naproksen, piroksikam, ketorolac) su jači nego aspirin ili acetaminofen). Ketorolak se daje oralno ili injicira u mišić na 68 sati. Neželjeni efekti su slični onima koje izaziva aspirin, ali je uticaj

Lekovi protiv bolova – analgetici

na trombocite kraći. Svi lekovi iz ove grupe mogu se davati s opioidima da se analgezija pojača.

Ad 2. Opioidi su lekovi izbora kod jakog akutnog bola i kancerskog bola (u terminalnoj fazi oko 70% bolesnika ima bolove). Opioidi su mnogo jači analgetici od NSAIDs lekova. Morfin, hidromorfon, metadon, fentanil i visoke doze oksikodona su superiorne kod najjačeg bola. Opioidi sprečavaju bol vezivanjem za opioidne receptore u centralnom nervnom sistemu. Morfin se injicira u mišić, 10 mg, dejstvo traje 3-6 sati; početna oralna doza od 20-60 mg, svakih 4-6 sata, a retard pripravci se daju svakih 8-12 sati. Fentanil se injicira u dozi od 0,1 mg, efekat traje 1-2 sata, a dat transdermalnim flasterom efekat je 72 sata.

Neželjeni efekti opioida: gađenje i

povraćanje (na početku terapije ili pri povećanju doze), zatvor (neophodno je laksansko sredstvo dokle god se daju opioidi), halucinacije i kognitivni poremećaji – liče na delirijum. Predoziranjem nastaje depresija disanja, uske zenice, sužena svest (lečenje: smanjiti redovnu dozu opioida za 25%, intravenska tečnost, mala doza naloksona 0,04 mg u venu ili pod kožu).

Dugotrajna upotreba opioida dovodi do tolerancije (smanjena efektivnost) koja se koriguje dodavanjem neopioidnog analgetika ili povećanjem doze. Davanjem drugog opioida neće kompletno prevazići toleranciju, ali takav postupak može pomoći.

Bolesnici koji dobijaju jake opioide postaju fizički zavisnici; javljaju se apstinencijalni simptomi ako se davanje leka naglo obustavi ili kada im se da opioidni antagonist. Fizička zavisnost može se pojaviti već nakon nekoliko dana terapije, a jaka zavisnost se javi posle nekoliko nedelja davanja većih doza morfinskog opioida.

Ad 3. Pomoćni lekovi iz grupe tricikličnih antidepresiva (gabapentin, amitriptilin, karbamazepin, fenitoin) korisni su kod herpesa zostera (postherpetična neuralgija) trigeminalne neuralgije i drugih tipova neuralgija. Kofein, u dozi 65 do 200 mg, pojačava analgetski efekat aspirina, acetaminofena i ibuprofena kod glavobolje, oralnog hirurškog zahvata i bolova posle porođaja. Kortikosteroidi smanjuju bol kod zapaljivih procesa i pritiska tumora na nerve.

Postoje i nefarmakološki načini analgezije: radioterapija (npr. kod fokalnog metastatskog karcinoma), hirurgija (npr. spinalna dekompresija, korekcija preloma kosti, vađenje zuba), električna stimulacija nerava peko kože, fizikalna terapija, okupaciona terapija, kognitivna terapija. Primena većine tih metoda nije pogodna za bolesnika ako mu je energetski nivo oskudan.

Prof. dr Rajko Igić, autor knjige “Osnovi gerijatrije”

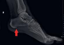
Petni trn (lat. plantarni fascitis) je koštana izraslina koja viri ispod petne kosti. Može se pojaviti kao reakcija na stres i upalu uzrokovanu plantarnom fasciopatijom. S vremenom tijelo reaguje na stres izgradnjom dodatog koštanog tkiva, odnosno petnog trna koji izaziva oštru i probadajuću bol, veoma sličnu boli koja se javlja kod plantarne fasciopatije. Najčešće je uzrok stres na ligamentima stopala. Javlja se obično između četrdesete i šezdesete godine života, podjednako kod žena i muškaraca. Većina ljudi i ne zna da ima trn u peti sve dok ne osjeti bolove u peti. Tada i zatraže pomoć.

Faktori nastanka

Uzrok je dugotrajno naprezanje plantarne fascije i mišića stopala, posebno kod sportista i to najčešće atletičara.

Plantarna fascija je gusto, čvrsto vezivno tkivo koje se proteže od pete prema nožnim prstima. Pričvršćuje se na petnu kost i na bazu prstiju. Pomaže u hodu, prilikom podizanja pete kao i odraza preko prstiju.

Gojaznost se smatra predisponirajućim faktorom za nastanak plantarnog fascitisa s obzirom na to da je uočena veća učestalost u osoba koje imaju indeks tjelesne mase veći od 30.

Faktori nastanka se dijele na vanjske i unutrašnje

Vanjski faktori:

• istrošena i pretvrda obuća

• greške u treninzima (promjena u intenzitetu, trajanju i učestalosti

Trn u peti

treninga)

• trčanje i hodanje po neravnom terenu

Unutrašnji faktori:

• valgusni položaj pete

• nefleksibilno spušteno stopalo

• pretjerana napetost Ahilove pete

• BMI veći od 30

• udubljeno stopalo

Simptomi

• bol na petnoj kosti koji se može širiti i unutrašnjom stranom stopala

• prilikom jutarnjeg ustajanja iz kreveta karakteristična je pojava vrlo snažnog bola (kao da je ekser u peti) koji nestaje poslije desetak koraka. Ovakva bol se može pojaviti i prilikom započinjanja trčanja, kao i prilikom ustajanja nakon dužeg sjedenja.

Primarijus mr ph. Anđelka Damjanović, spec. farmaceutske informatike

Liječeje trna u peti

U prvom redu liječenje je usmjereno na identifikaciju i ispravljanje predisponirajućih faktora nastanka plantarnog fascitisa.

Liječenje trna u peti uključuje:

• odmaranje stopala i pete: ukoliko se trči ili džogira napraviti pauzu najmanje od petnaest do dvadeset dana kako bi se ublažili bolovi u peti

• primjena hladnih obloga na donji

dio stopala može pomoći u ublažavanju bolova u peti

• upotreba analgetika u kombinaciji sa kortikosteroidima te ponekad primjenom lokalnih anestetika u ampulama

• nošenje odgovarajuće obuće i po potrebi uložaka koji će pružiti oslonoc stopalu i ublažiti bol U više od devedeset odsto slučajeva nehirurško liječenje daje dobre rezultate.Ukoliko se poslije devet do 12 mjeseci konzervativnog liječenja ne uspiju ublažiti simptomi petnog trna, može se pristupiti hirurškoj intervenciji.

Prevencija nastanka petnog trna Faktori na koje se može uticati te tako spriječiti ili odgoditi nastanak trna u peti su:

• ukoliko se bavimo trčanjem, birati meke površine kao što je trava te izbjegavati tvrde i neravne površine

• birati obuću za trčanje prema tipu svog stopala i redovno je mijenjati nakon što se istroši

• ukoliko se pri hodu prekomjerno opterećuju pete, konsultovati ortopeda koji će dati savjet kako prilagoditi hod

• skinuti višak kilograma jer svakim kilogramom viška raste opterećenje na stopala a time i na petu

• ukoliko se mora, zbog prirode posla, dugo stajati potrebno je ravnomjerno rasporediti težinu tijela.

Kada se može vratiti radnim i sportskim aktivnostima

U najblažim slučajevima plantarnog fascitisa potrebno je, i uz adekvatno provedeno liječenje, bar mjesec dana do potpunog povratka radnim i sportskim aktivnostima. U težim slučajevima, koji zahtijevaju potpuni prekid sportske aktivnosti, potrebno je dva do dva i po mjeseca poštede. Poslije hirurške intervencije potrebno je provesti rehabilitaciju u trajanju od dva do tri mjeseca, dok se potpuni povrat aktivnostima može očekivati za četiri do pet mjeseci.

Literatura:

1. Edvards,C.,Stilman.:Mala oboljenja ili velike bolesti.IV izdanje, Beograd. 2011https:www. stetoskop,pristupljeno 19112024

Poremećaji u medijima oka mogu da dovedu do smanjene vidne oštrine i slabijih razlikovanja detalja. Ovo može lako da se utvrdi pregledom kojim se utvrđuje vidna oštrina pomoću optotipa i odgovarajuće dioptrijske korekcije. Raspršena svjetlost dovodi i do drugih problema i poteškoća. Svi ovi simptomi su pri tome mnogo češći ako se radi o oku koje već ima drugu retinalnu patologiju, kao što je makularna degeneracija i dijabetska makulopatija, kao i glaukom.

Teoretski, u idealnom oku ne bi trebalo da ima bilo kakvog raspršivanja. Kako očna medija nisu optički idealna uvijek će doći i do određenog raspršivanja svjetla. Raspršivanje dovodi do smanjenja kontrasta na slike koje se projektuje na retinu. Ukratko, što je izraženije raspršivanje to je slabiji kvalitet vida.

Efekat raspršivanja svjetla nije isto kao smanjenje vidne oštrine. Sljedeća fotografija je urađena sa tri filtera, gdje je slika lijevo napravljena sa neodgovarajućim izoštravanjem, a slika desno sa filterom koji pojačava raspršivanje svjetla. Na osnovu ovih fotografija se može zaključiti da raspršivanje svjetla više smeta u dnevnim aktivnostima nego umjereno smanjenje vidne oštrine.

Raspršivanje svjetla na retini

com, beonjačom i samim očnim dnom. Raspršivanje koje vrši rožnjača se ne mijenja značajno sa starenjem, mada može biti pojačano nakon refraktivne hirurgije. Sami iris i sklera nisu u potpunosti neprovidni. Zavisno od nivoa pigmentacije, dio svjetla može proći i kroz ove dvije strukture i doći do retine. Znači, što su oči svjetlije to je raspršivanje veće. Prirodno sočivo sa starenjem postaje sve više i više sklono pojačavanju raspršivanja svjetla. Zbog toga, naročito ako se u takvom oku razvije katarakta, može doći do značajnog povećavanja problema sa vidom. Na očnom dnu dio svjetla se odbija i može takođe da dovede do vidnih smetnji, naročito ako postoje druge retinalne promjene. Prvi simptom rane katarakte su upravo problemi sa zablještavanjem i izraženim poteškoćama tokom vožnje

Fotograija preuzeta sa https://nin.nl/wp-content/uploads/sites/2/2022/10/ Straylight_11zon-2.pdf.

Količina raspršenog svjetla na retini je različita za svako oko i pojedinca. Ona zavisi od dobi, patologija u oku, kao što je katarakta, a takođe se može povećati i nakon refraktivnih procedura na rožnjači (skidanja dioptrije).

U normalnom oku postoje tri glavna uzroka raspršivanja svjetla: rožnjača, iris i beonjača, sočivo oka i samo očno dno. U zdravom oku jedna trećina otpada na rožnjaču, druga na sočivo, dok je treća trećina raspršivanja uzrokovana duži-

noću, što često pacijenta dovodi do ljekara. Kako je vidna oštrina često normalna, ako se ne misli na ovo stanje, problem na koji se žali pacijent može ostati neko vrijeme neprepoznat i netretiran.

Otok rožnjače dovodi do pojačanja raspršivanja svjetla, kao i određena diskretna zamućenja u rožnjači nakon refraktivne hirurgije. Nošenje kontaktnih sočiva pojačava raspršivanje svjetla u oku. To se posebno više izražava ako postoje promjene na samo kontaktnom sočivu kao što su nečistoće, naslage i ogrebotine. Neadekvatan suzni film dovodi do sličnih problema.

Takođe, zamućenja u staklenom tijelu (opacitati, lebdeća tjelašca) mogu da povećaju simptome mada nemaju nikakav efekat na vidnu oštrinu, a često niti na osjetljivost na kontraste.

Dr Milan Preradović, spec. oftalmolog

Najčešće tegobe koje pacijenti spominju vezane uz neželjeno raspršivanje svjetlosti u oku su zamućenje vida, povećana osjetljivost na odbljeske, gubitak kontrasta i boja, haloi oko jako svijetlih predmeta kao i problemi sa prepoznavanjem lica ako se iza njih

URepublici Srpskoj sa radom je počela Komisija za kontrolu rezistencije na antimikrobne lijekove, a prvi sastanak ovog stručnog tijela održan je 11. novembra u Ministarstvu zdravlja i socijalne zaštite Republike Srpske, u prisustvu ministra zdravlja i socijalne zaštite Alena Šeranića. Komisiju čine eksperti iz oblasti farmakologije, epidemiologije, mikrobiologije, infektologije, veterinarstva, pedijatrije, porodične medicine, intenzivne medicine, farmacuje i stomatologije u Republici Srpskoj.

Zadatak ove nedavno imenovane komisije je da ministru zdravlja i socijalne zaštite Republike Srpske predloži članove radne grupe za izradu nacrta Strategije za kontrolu rezistencije na antimikrobne lijekove; utvrdi prijedlog Strategije za kontrolu rezistencije na antimikrobne lijekove Republike Srpske; prati implementaciju ove Strategije; predlaže načine promocije racionalne upotrebe antibiotika i obavlja i druge poslove u oblasti kontrole rezistencije na antimikrobne lijekove, kroz saradnju sa zdravstvenim i drugim ustanovama, udruženjima i organizacijama.

Ministar Alen Šeranić izrazio je punu podršku radu komisije, ističući da je strategija na kojoj će se raditi važan alat svima da se unaprijedi i praksa i da se učine važni koraci ka kontroli i prevenciji antimikrobne rezistencije. Predsjednica Komisije Jelena Me-

nalazi izvor svjetla. Sve ovo dovodi do zamora, nelagodnosti, glavobolja, a nekada čak i bolova u oku, naročito nakon noćne vožnje.

Zavisno od uzroka, dobar dio ovih problema se može riješiti. Ako postoji katarakta potrebno je zamijeniti za-

mućeno prirodno sočivo. Poremećaji na kapcima i suznom filmu treba da budu tretirani. Nekada su od pomoći odgovarajuće naočare na kojima je polarizacioni filter. Svakako, svaka druga patologija oka treba da se uzme u obzir i na odgovarajući način tretira.

Kontrola rezistencije na antimikrobne lijekove

Komisija AMR prvi sastanak

dar Petrović, stručni savjetnik za farmaciju u Ministarstvu zdravlja i socijalne zaštite Republike Srpske, upoznala je članove komisije da je potrebno

donijeti novu strategiju u ovoj oblasti, te utvrditi dalje korake i ključne aktivnosti u narednom periodu, ističući da se radi o jednom od izuzetno aktuelnih

Komisija AMR druga sjednica

Komisija AMR prva sjednica

izazova u oblasti zdravstva. Drugi sastanak komisije, koji je održan krajem novembra u Institutu za javno zdravstvo Republike Srpske, bio je povod i za predavanje eksperta Svjetske zdravstvene organizacije prof. dr Golubinke Boševske, koja je članovima Komisije predstavila dobre prakse i iskustva, kao i korake i akcije koje su dovele do pozitivnih rezultata u pogledu kontrole rezistencije u drugim zemalja. Razmotreni su i alati za situacionu analizu ili procjenu stanja u Republici Srpskoj.

Odsjek za odnose s javnošću MZSZ Republike Srpske

Alergija na hladnoću daleko se rjeđe spominje od ostalih vrsta alerjiskih stanja, a u današnje vrijeme se vrlo često javlja.

Prvi simptomi alergije na hladnoću su crvenilo, svrab, otok ruku i nogu, kao i otok svih dijelova tijela koji su izloženi niskim temperaturama i hladnom vjetru, snijegu ili ledu.

Ukoliko je izloženost niskim temperaturama duži vremenski period na koži difuzno se javljaju eritematozne eflorescence, edem cijele glave ili otok ušnih školjki, usana, očnih kapaka, nosa i čela.

Najteže tegobe pothlađivanja su anafilaksa, uz otežano disanje i gubitak svijesti.

Ako se radi o urtikariji, ona nastaje neposredno nakon izlaganja niskim temperaturama bilo to vodom, vazduhom ili vjetrom.

Okolina u kojoj se osoba nalazi, ako je hladna i vlažna, mnogo češće izaziva alergiju na hladnoću u raznim kliničkim oblicima.

Od običnog eritema i edema na koži, praćenih pruritusom, teži oblici dovode do simptoma kao što su, tahikardija, groznica, gubitak svijesti i bradipneja, što može biti biti vrlo opasno ako se ne pruži brza i adekvatna pomoć ugroženoj osobi.

Osobe koje su alergične na hladnoću, a kupaju se u hladnoj vodi zbog enormnog oslobađanja histamina i drugih histaminoliberatora doživljavaju, veliku hipotenziju, gubitak svijesti, šok koji se nerijetko završava i letalno.

Alergija na hladnoću može biti relativno kratka i spontano se gubi, ali ima i osoba koje godinama moraju da budu pod doktorskim nadzorom i potrebnim lijekovima koji preveniraju teže sumptome.

Urgentna stanja kod alergije na hladnoću su: edem glotisa, dispneja i vertiginozne tegobe sa vidljivim edemima na licu i ove tegobe zahtijevaju hitnu medicinsku intervenciju.

Uzrok alergije na hladnoću je nepoznat, jedino se zna da kontakt sa hladnoćom izaziva oslobađanje velike koncentracije histamina i histaminoliberatora koji dovode to teških, a tako i lakših tegoba.

Alergija na hladnoću

dr

šef Katedre za dermatovenerologiju, Medicinski fakultet Banjaluka

Zapaženo je da se alergija na hladnoću češće javlja kod djece, nakon virusnih oboljenja, infektivne mononukleoze, sistemskih oboljenja, uz genetsku predispoziciju.

Kod blagih oblika alergije na hladnoću potrebno je savjetovati oboljele da izbjegavaju nepotrebnu fizičku aktivnost i da uzimaju antihistaminike koji će smanjiti pruritus i osjećaj žarenja na koži.

Dijagnostikovati alergiju na hladnoću možemo pomoću obične kocke leda koju stavimo na podlakticu ili podlakticu stavimo pod mlaz hladne vode. Nakon toga, na izloženim mjestima se javlja eritem, edem i periferni urtikarijalni osip.

Veliki broj alergija na hladnoću se tokom djetinjstva ili odrasle dobi izgubi ako su posljedično vezane za neka oboljenja koja se spontano tokom života saniraju.

Postoje i oboljenja koja su precipi-

tirajući faktor za alergiju na hladnoću a to su: reumatoidni artritis, infekcije, neki oblici kancera, infektivna mononukleoza i u ovim slučajevima se obavezno odgovarajućim analizama otkriva pravi uzrok oboljenja.

Treba napomenuti da se kod alergije na hladnoću ne oslobađa samo histamin, već i acetilholin što ponekad zahtijeva, pored antihistaminika, i uzimanje kortikosteroida parenteralno. Bitno je znati da antihistaminici na liječe alergiju na hladnoću nego samo saniraju trenutne tegobe da pacijenti znaju i ne budu u zabludi.

Prof.
Bogdan Zrnić,

Uokviru obilježavanja Svjetskog dana mentalnog zdravlja, 10. oktobra, učenici, članovi sekcije „Promocija i unapređenje zdravlja“ iz JU “Srednjoškolskog centra Srebrenica”, pod vodstvom prefesorke Biljane Jovičić, posjetili su Centar za mentalno zdravlje u Srebrenici.

Tokom posjete, zaposleni u CMZ Srebrenica, razgovarali su sa članovima sekcije o temama vezanim za organizaciju CMZ Srebrenica, problemima stigmatizacije lica sa problemima u mentalnom zdravlju, specifičnostima u radu sa korisnicima i njihovim porodicama, kao i drugim pitanjima, a posebno onim povezanim sa mentalnim zdravljem mladih.

Svjetski dan mentalnog zdravlja obilježen u Srebrenici

Učenici su pokazali veliko interesovanje o ovim temama te su prilikom posjete dali veći broj prijedloga, koji se odnose na mogućnosti budućih oblika saradnje.

Saradnja CMZ Srebrenica i učenika SŠC Srebrenica postala je, moglo bi se reći, tradicionalna. Uz zajedničke aktivnosti pri obilježavanju Svjetskog dana mentalnog zdravlja, organizuju se i posjete učenika tokom cijele godine.

Dobra strana ovih posjeta ogleda se u činjenici da se biraju i obrađuju teme koje su nedovoljno obrađene kroz redovne nastavne sadržaje.

Saglasnost: JU “Srednjoškolski centar Srebrenica” dala je saglasnost za objavljivanje fotografija

Autori: Biljana Sušić, magistar psihologije, i Predrag Petrović, menadžer BSc i okupacioni terapeut u mentalnom zdravlju - JZU Dom zdravlja Srebrenica, Centar za mentalno zdravlje

„Kako zadržati bliskost sa djecom uprkos izazovima odrastanja?“ tema je o kojoj je dr Gordon Njufeld, svjetski priznati stručnjak u oblasti ranog razvoja i dječje psihologije, razgovarao sa banjalučkom publikom u Narodnom pozorištu Republike Srpske. Dr Njufeld posjetio je Banjaluku kao gost Fondacije „Novak Đoković“ u okviru programa „Razgovori o roditeljstvu“, čiji je cilj edukacija i podizanje svijesti javnosti o temama razvoja djece i roditeljstva. Vođena idejom da je briga o odrastanju djece jedan od koraka ka boljoj budućnosti za sve nas, Fondacija „Novak Đoković“, već treću godinu za redom, organizuje dolazak vodećih stručnjaka iz ove oblasti.

U okviru svog uvodnog obraćanja publici, dr Njufeld se osvrnuo na neke od ključnih tema u vezi sa roditeljstvom i izazovima odrastanja, kao što su privrženost, značaj uloge roditelja u odnosu na ulogu vršnjaka te važnost osjećaja, odmora i igre u rastu i razvoju djece.

“Kako da zaštitimo djecu u ovom svijetu? Kada shvatimo da je zajedništvo naš primarni nagon, tad takođe razumijemo koja je ljudska prijetnja - zadržavanje u tom zajedništvu, suočavanje s odvojenošću, suočavanje s nedostatkom pripadnosti, nedostatkom ljubavi, nedostatkom sličnosti, nedostatkom sviđanja, nedo-

Dr Gordon Njufeld održao predavanje u Banjaluci na poziv Fondacije „Novak Đoković“

Privrženost je osnova roditeljstva

statkom zajedništva. Kada dijete živi na taj način, tražeći odgovore u zajedništvu, tražeći svoj značaj, važnost i ljubav, osjeća se sigurno. Jer, roditelj je taj koji im znači. Kada im ti značiš više od ostalih, manje će ih povrijediti stvari koje ih okružuju,” naglasio je dr Njufeld.

Suština je u privrženosti djeteta roditelju. Ako dijete nije privrženo roditelju,

on ne može da brine o njemu. Privrženost je kontekst u kom pružamo brigu svojoj deci – ona stvara osjećaj doma, osjećaj sigurnosti i, najzad, priprema djecu za ovaj svijet. Nije predviđeno da se djeca staraju sama o sebi, objasnio je dr Njufeld. Osim privrženosti, kao osnovne potrebe djeteta, dr Njufeld naveo je i potrebu za slobodnim izraža-

vanjem osjećaja, odmor i igru. Odmor je, kako kaže, preduslov za rast, dok je sposobnost za igru odličan pokazatelj zdravlja.

„Ove godine smo doveli dr Gordona Neufelda kako bismo osnažili porodice i podsjetili na neprocjenjivu vrijednost bliskosti sa djecom. Kako dr Njufeld kaže, kada dijete osjeti privrženost i pripadnost, ono se osjeća sigurno i zaštićeno. U ranjenom svijetu, upravo ta privrženost predstavlja ključ za sigurnost naše djece. Dr Njufeld će s publikom podijeliti ove važne poruke, a iskreno se nadam da ćemo se vratiti s još stručnjaka i novih tema za razmatranje kako bismo, kroz zajednički napredak, osigurali bolju budućnost i za nas i za našu djecu“, izjavila je Jelena Đoković, saosnivačica i globalna direktorka Fondacije „Novak Đoković“.

Fondacija „Novak Đoković“ osnovana je 2007. godine kao organizacija koja ulaže u predškolsko obrazovanje u Srbiji. Rad Fondacije zasniva se na uvjerenju da predškolsko obrazovanje može promijeniti život djece i cijele zajednice. Takođe se zalaže i za dovođenje svjetski priznatih stručnjaka iz oblasti roditeljstva i ranog razvoja u Srbiju i zemlje regiona.

„Misija Fondacije je da podržimo stručnjake i roditelje u cijelom regionu i da se povežemo kroz temu roditeljstva, jer za temu roditeljstva ne postoji alternativa. Period ranog razvoja kojim se mi bavimo je najkraći životni period, ali ima najveći uticaj na razvoj djece. Kako dr Njufeld kaže, ljubav djece ne treba da bude

uslovljena, djeca treba da se odmaraju u roditeljskoj ljubavi,“ zaključila je Smiljana Grujić, glavna programska menadžerka Fondacije „Novak Đoković“.

Pokrovitelji predavanja bili su Curaprox i Nutrino Lab, koji su svojim angažmanom doprinijeli realizaciji događaja, ali i podizanju svijesti o važnosti tema obrađenih tokom predavanja.

Dr Gordon Njufeld je široj javnosti poznat i kao mentor Gabora Matea, a u svojoj karijeri, koja traje više od 40 godina, radio je kao klinički psiholog sa djecom, omladinom i njihovim porodicama. Autor je bestselera „Budite oslonac svojoj djeci“ koji je preveden i na srpski jezik. Posljednje dvije decenije posvetio je kreiranju kurseva za roditelje i nastavnike u okviru svog Neufeld Institute – online obrazovnog instituta i svjetske dobrotvorne organizacije posvećene primjeni razvojne nauke pri odgajanju djece. Zi Public Relations Consultancy, Sarajevo

UMinistarstvu zdravlja i socijalne zaštite Republike Srpske održana je druga sjednica Upravnog odbora Projekta „Zdrave zajednice u Bosni i Hercegovini“, sa ciljem razmatranja pregleda ostvarenih rezultata u implementaciji prve godine ovog projekta.

Ideja Projekta “Zdrave zajednice u BiH”, koji će se provoditi u 11 opština u Republici Srpskoj, jeste da se u tim zajednicama partnerski radi na programima promocije zdravlja i prevencije bolesti te da u tim aktivnostima, osim zdravstvenih radnika i ustanova, učestvuje i društvena zajednica, kao i sami građani.

Prevencija i briga o zdravlju moraju polaziti od samog pojedinca, a za to je potrebno da zajedno razvijamo visok nivo svijesti o važnosti brige o zdravlju i praktikovanju zdravih životnih stilova, odnosno da proširimo brigu o zdravlju stanovništva i na aktere izvan zdravstvenih ustanova.

Ovim projektom se želi podstaći učešće građana u procesima odlučivanja u zajednici, pružanje visokokvalitetnih usluga promocije zdravlja i prevencije bolesti i osmišljavanje i provođenje lokalnih inicijativa za promociju zdravlja i prevenciju bolesti putem zdravstvenih savjeta/odbora za zdravstvo te će se doprinijeti preusmjeravanju sistema od kurativnog ka preventivnom.

U svjetlu toga, krajnji cilj projekta je smanjiti teret bolesti i unaprijediti

Zdrave zajednice u BiH

zdravstveni status građana time što će se ojačati fokus zdravstvenog sistema na prevenciji bolesti i promo-

ciji zdravih životnih stilova, primarno na nivou lokalne zajednice. Sjednici Upravnog odbora Projekta „Zdrave zajednice u BiH“ prisustvovali su predstavnici Ministarstva zdravlja i socijalne zaštite Republike Srpske, Ambasade Švajcarske u BiH koja podržava projekat, Ministarstva civilnih poslova BiH, Federalnog ministarstva zdravstva, Odjeljenja za zdravstvo i druge usluge Vlade Brčko distrikta BiH i Instituta za populaciju i razvoj - IPD.

Odsjek za odnose s javnošću MZSZ Republike Srpske

Sumirani rezultati prve godine projekta

Naša dugogodišnja saradnja i dalje je nastavljena sa UG zdravstvenih radnika CG Boke i primorja na sportskim igrama koje su održane 2.10-5.10.2024. godine u Ulcinju.

Naši članovi udruženja učestvovali su u disciplinama pikado i plivanje.

Saradnja sa UG DISTROFIČARA Moravskog okruga Čačak nastavljena je sa posjetom našem UG, gdje su održali radionice oslikavanja ikona, obuke i ostavili potreban materijal da bi naši korisnici mogli da nastave sa radom i prošire svoje slikarsko umijeće.

Uzvratnu posjetu ovom UG organizovali smo 20-25.11.2024. godine, gdje smo razmijenili prijedloge za na-

Udruženje za uzajamnu pomoć u duševnoj nevolji "Sonata" Trebinje

Prekogranična saradnja - primjeri dobre prakse

Pripremile: Miholjka Janković, predsjednik UG “Sonata” Trebinje, Anica Ramić, predsjednik UG STOPMOBING

redna druženja i saradnju, a ujedno nabavili i sav ostali neophodan materijal za naše UG.

Na lokalnom nivou organizovali smo potpisivanje peticije za besplatan parking za OSI i omogućavanje jednog besplatnog parking-mjesta kod Dispanzera za djecu do predškolskog uzrasta. Uporedo smo dali podršku građanima za provođenje Zakona o zaštiti na radu od uznemiravanja na poslu, tj. radnom mjestu.

Naš rad i angažovanje dobro je prepoznat na lokalnom nivou, a i šire. Nastojimo da obuhvatimo sve starosne kategorije i da svima uvijek budemo na raspolaganju.

Ovom prilikom želimo da se zhvalimo svima koji su sarađivali sa nama i davali nam podršku za rad i poželimo u 2025. godini još jaču i čvršću saradnju sa svima.

Želimo svima srećne Božićne i Novogodišnje praznike, UG “Sonata” Trebinje. Za objavu slika svi su dali svoj pristanak

Dagrafors® - Krkino revolucionarno rješenje za sveobuhvatnu zaštitu!

U mjesecu novembru kada se obilježava Svjetski dan dijabetesa, farmaceutska kompanija Krka, d.d., Predstavništvo u BiH, je organizovala KRKINU

DIJABETOLOŠKO-KARDIOLOŠKU

KONFERENCIJU. U saradnji sa Udruženjem kardiologa Republike Srpske i Udruženjem endokrinologa i dijabetologa Republike Srpske, konferencija je održana 9.11.2024. u resto-

Krkina dijebetološko-kardiološka konferencija: s lijeva na desno: Aleksandra Đukić Drvar (Predstavništvo Krka u BiH), Azra Tahirović (Predstavništvo Krka u BiH), prof. dr Andrej Janež (UKC Ljubljana), prim. dr Mirjana Bojić (UKC Republika Srpska), prof. dr Aleksandra Marković (UKC Republika Srpska), prof. dr Tamara Kovačević Preradović (UKC Republika Srpska), dr. sc. med. Blaženko Vuković (SHB „Dr Kos�ć“ Banjaluka), Amar Rizvan (Predstavništvo Krka u BiH)

Prof. dr Aleksandra Marković (UKC Rep. Srpska, predsjednica Udruženja endokrinologa i dijabetologa Republike Srpske)

Prof. dr Tamara Kovačević Preradović (UKC Rep. Srpska): “Preporučuje se sveobuhvatan mul�faktorski pristup, smanjenju rizika od komplikacija povezanih sa dijabetesom.”

Prim. dr Milica Lovrić (JZU Bolnica „Sve� Vračevi“ Bijeljina, predsjednica Udruženja kardiologa Republike Srpske)

ranu „Integra” Banjaluka. S ciljem razmjene znanja o najnovijim dos�gnućima u liječenju kardio-renalnih-metaboličkih boles� i predstavljanja revolucionarnih terapijskih opcija za njih, Krka je okupila eminentne domaće stručnjake uz gosta iz Univerzitetskog kliničkog centra Ljubljana. Glavna tema konferencije je bio dapagliflozin (Dagrafors), ver�kalno integrisani lijek koji je zahvaljući Krkinom znanju i razvoju, u godini kada ona obilježava svoju 70. godišnjicu, dostupan na tržištu Bosne i Hercegovine. Tokom predavanja i diskusije, istaknut je značaj dapagliflozina u savremenoj kliničkoj praksi sa posebnim naglaskom na njegovu primjenu u tretmanu pacijenata s dijabetesom �pa 2, srčanim zatajenjem i hroničnom boles� bubrega. Događaj je bio mul�disciplinarnog karaktera okupivši endokrinologe, kardiologe, nefrologe, koji su iz svojih perspek�va dali doprinos značaju dapagliflozina u terapijskim smjernicama za liječenje dijabetesa �pa 2, srčane insuficijencije i hronične boles� bubrega. Učesnici su se složili da je neophodan holis�čki pristup pacijen�ma i da dapagliflozin pruža mogućnos� unapređenja zdravstvenih ishoda.

U kontekstu holis�čkog pristupa, u drugom dijelu programa kroz sesiju „Šta je oku skriveno“ Krka je uz sudjelovanje eminentnih kardiologa doprinijela aktualizaciji najnovijih informacija sa polja hipertenzije i hiperlipidemije. Ovim događajem, Krkinom dijabetološko-kardiološkom konferencijom Krka je potvrdila da sa zdravstvenim radnicima BiH ispunjava svoju misiju brige o zdravlju pacijenta.

Dapagliflozin je prva linija liječenja kod DM tip 2, srčane insuficijencije i hronične bolesti bubrega!

Siguran za upotrebu, siguran za kombinacije!

Dapagliflozin je značajno smanjio rizik od pogoršanja renalne funkcije, ESRD (završne faze renalne bolesti) ili smrti zbog renalnih uzroka!

Učesnici konferencije su bili endokrinolozi/dijabetolozi, kardiolozi, opš� internis�, nefrolozi, doktori porodične medicine, specijalizan� kardiologije i interne medicine

Ukoliko ste muškarac i imate potrebu za češćim mokrenjem, i primijetite krv u urinu, bol u slabinama, bezbolno i postepeno uvećanje testisa ili tvrdi čvor unutar testisa, a ni erektilna disfunkcija vam nije strana, potrebno je da se javite urologu.

„Kod muškaraca postoje oboljenja urogenitalnog sistema koja se najčešće javljaju u određenim životnim dobima. U mladosti, odnosno od djetinjstva pa do 40-te godine života, tipično je doba za nastanak tumora testisa. S kasnim 40-im počinju se javljati i nespecifični, povremeno prisutni poremećaji mokrenja. Te smetnje mokrenja su najčešće posljedica bolesti koja se naziva benigno uvećanje prostate. Erektilna disfunkcija je još jedno oboljenje koje često pogađa muškarce i ukoliko se javi u srednjoj životnoj

O SAMOPREGLEDU DUŠEVNOG STANJA:

„Dobro je sebi postaviti pitanje tipa: Na skali od 1 do 10, koliko sam ja zadovoljan svojim mentalnim zdravljem? (gdje je ocjena 1 - ekstremno loše, a ocjena 10 ekstremno dobro) Ako je ocjena ispod 6, to je znak da je potrebno potražiti pomoć, ali posebno je potrebno biti pažljiv ako je ocjena `čista desetka`“, savjetuje psiholog Tadić.

dobi (od 45 do 65 godina) jedan je od najranijih znakova kardiovaskularne bolesti. Osim navedenog, u svim životnim dobima mogu se javiti infekcije urogenitalnog sistema kao i tumorske promjene na svim njegovim nivoima. Pojava kamenaca u urinarnom sistemu podjednako je prisutna kod pacijenata oba pola“, ističe dr Tamara Đurić Kun, specijalizant urologije.

Koliko je važno fizičko, toliko je važno i psihičko zdravlje.

Stoga, ukoliko ste muškarac i ako ste skloni izjavama tipa: „Ma ne treba meni pomoć, nije mi ništa“, a naročito ako rečenica počinje sa „ma“ ili „pa“, ako stalno osjećate umor koji ne prolazi ni nakon odmora, ako sve rješavate „sâm sa sobom“ … vrijeme je da se obratite psihologu.

„Pri saznavanju dijagnoze neke bolesti uobičajena prva reakcija je šok. Šta će uslijediti nakon šoka varira od osobe do osobe. Nekom se

„Hemofarmove“ Brke i Superbrke
Vrijeme ti je, pregledaj se!

prvo javi strah, nekome razočarenje, nekog obuzme žalost. A neki ljudi potisnu osjećanja i prave se kao da se nije ništa važno desilo. Samim tim ne traže podršku dok, sa druge strane, prijavljuju da se osjećaju usamljeno. Muškarci često navode i umor koji ne prolazi ni kad se odmore. Iako, mi psiholozi, u tom slučaju propitujemo duševnu iscrpljenost, taj stalni umor može biti i simptom fizičkih bolesti, zbog čega mu i pridajemo značaj“, kaže Ognjen Tadić, psiholog i aktivista iz Udruženja „Superbrke“ iz Banjaluke. U novembru muškarci širom pla-

nete puštaju brkove s ciljem podizanja svijesti o važnosti muškog zdravlja, borbe protiv karcinoma prostate i testisa te očuvanja mentalnog zdravlja muškaraca. Tako je nastao i globalni pokret „Movember“ koji i ove godine podržavaju zaposleni u „Hemofarmu“, zajedno sa Udruženjem „Superbrke“ iz Banjaluke. Novembar jeste mjesec posvećen muškarcima, ali se ne smije zaboraviti da svaki mjesec u godini jeste mjesec pregleda i prevencije. „Hemofarmove“ „Brke“ i „Superbrke“ jedinstveni su u poruci –Vrijeme ti je, pregledaj se!

Univerzitetska dečja klinika u Beogradu pod ovim nazivom je osnovana 1924. godine u privatnoj kući u Ulici kneza Miloša u kojoj su bile smeštene dečja ambulanta, laboratorija i biblioteka, ležećih bolesnika nije bilo, a predavanja za studente održavana su u amfiteatrima drugih institucija.

Zgrada u kojoj se danas nalazi Univerzitetska dečja klinika u Tiršovoj ulici izgrađena je 1904. godine na osnovu projekta arhitekte Milana Zlokovića i, prema do tada najvišim evropskim kriterijumima za dječju bolnicu, a po uzoru na jednu parisku dječju bolnicu. Gradnja je počela 4. oktobra 1936. godine ukazom kralja Petra drugog Karađorđevića i zalaganjem doktora Matije Ambrožiča, koji je 1926. godine postavljen na čelo Univerzitetske dečje klinike i Katedre za pedijatriju na Medicinskom fakultetu u Beogradu, započeo je vijek postojanja te klinike. Zahvaljujući beogradskom Medicinskom fakultetu koji je pre četiri godine započeo drugi vek postojanja, Dečja klinika u Tiršovoj 10 svojim geslom Zdravlje dece kao zalog za budućnost i u korak s Evropom, je ujedno i najveća afirmacija Medicinskog fakulteta Univerziteta u Beogradu.

Direktori Univerzitetske dečje klinike prema monogafiji UDK /najobimnija, najznačajnija, od izuzetnog istorijkog medicinskog značaja.../ su bili: Prof. dr Franc Grejer (1924-1925),

Sto godina Univerzitetske dečje klinike

Novi vek nova Tiršova

Ja sam bila bolesna i ozdravila sam u Dečjoj klinici. Neka i druga deca koja su bolesna ozdrave u novoj klinici

Reči petogodišnje Zorice Pavlović, kćerke prof. dr Radivoja Pavlovića, upravnika Instituta za farmakologiju, na svečanosti povodom polaganja povelje u temelj buduće Dečje klinike na Vračaru, u nedelju 4. oktobra 1936. godine.

Pripremili: Marko Radoš i Dario Mirović

prof. dr Matija Ambrožić (1926-1941) i (1944-1961), prof. dr Borivoje Tasovac (1943-1944) i (1961-1971), prof. dr Milutin Đaja (1971-1975), prof. dr Nada Čalić Perišić (1975-1979), prof. dr Vitomir Đukić (1979-1981), prof.

ran Radojičić (2013-2018) i profesor dr Siniša Dučić, akutelni direktor od 2018.godine.

U Univerzitetskoj dečjoj klinici u Tiršovoj leči se preko 15.000 dece godišnje, a obavi se preko 9.000 operacija,

dr Lazar Stojanović (1981-1983) i (1989-1990), prof. dr Danica Korać (1983-1989), docent dr Dušan Šćepanović (1990-2000), prof. dr Zoran Krstić (2000-2008), docent. dr Milan Đukić (2008-2009), prof. dr Ida Jovanović (2009-2013), docent dr Zo-

realizuje se preko 100.000 bolničkih dana, a izvede preko 70.000 pregleda na pedijatriji i oko 55.000 na hirurgiji. Povodom veka postojanja Dečje univerzitetske klinike, u Narodnom pozorištu u Beogradu održana je u oktobru 2024. svečanost u prisustvu zna-

čajnih ličnosti srpske medicine, privrede kao i najviših političkih predstavnika Vlade Republike Srbije i Vlade Republike Srpske.

Na svečanosti je istaknuto da je Univerzitetska dečja klinika vodeća klinika za decu u Srbiji i regionu i da po svemu zaslužuje da nastavi da bude vodeća u našem zdavstvu, slijedeći kontuitet i ideju kralja Aleksandra prvog Karađorđevića.

Odlukom Vlade Republike Srbije, započeta je izgradnja nove zgrade klinike TIRŠOVA 2, koja će biti završena i opremljena najsavremenijom opremom do 2026. godine u susret zavšetku i otvaranju EXPO-a 2027. godine. Ovaj značajan jubilej bio je povod da za časopis MEDICI.COM razgovaramo sa profesorom dr Sinišom Dučićem, direktorom, najodgovornijim i zaslužnim za uspješnost Dečje klinike.

Direktore Dučiću, predstavite nam Univerzitetsku dečju kliniku, instituciju velikog ugleda, povjerenja, značaja i prepoznatljivosti

Univerzitetska dečja klinika u Beogradu uživa ugled jedne od vodećih ustanova za lečenje dece u Srbiji i re-

gionu. Bavimo se dečjom hirurgijom i pedijatrijom i spadamo u referentni centar za dečju pedijatriju, dečju hirurgiju Republike Srbije, regiona i Evrope. Naša klinika ima sve specijalnosti i sve što ne može da se uradi u manjim centrima, oni šalju u našu kliniku gde mi to uspešno rešavamo. Treba naglasiti da se bavimo transplantacijom bubrega kod dece, time se u Srbiji niko ne bavi osim naše klinike. Bavimo se hemodijalizom kod dece, zamenom bubrega, odnosno veštačkim bubregom. To takođe ne radi niko u svetu, nego mi.

Odeljenje Kardiologije nam je izvanredno, tu imamo kardiologiju i kardiohirurgiju, znači rade se gotovo sve urođene srčane anomalije u dečjem uzrastu. Imamo jedan visokoosposobljeni stručno-naučni tim koji to obavlja na svetskom nivou. Pored toga, povremeno nam dolazi kolega iz bolnice u Londonu dr Martin Kostolni, koji je vodeći dečji kardiohirurg u Evropi. Operacije koje ne mogu da se urade ovde, koje naši lekari ne izvode, radimo zajedno s njim. To je saradnja koja traje nekoliko godina.

Odeljenje kardiologije je vodeće, rade se interventne procedure. De facto ne postoji nijedna srčana mana koja se ne može uraditi na našoj klinici.

Odjeljenje hematologije takođe uživa veliki ugled?

Moram da naglasim kada je u pitanju hematologija, da dobijamo visoka priznanja od kolega iz Evrope, tu rade visokostručni lekari koji su članovi svetskih bordova za hematološke bolesti, a oni ujedno i kreiraju terapiju. Zajedno s kolegama iz inostranstva primenuju najnovija naučna dostignuća

u lečenju malignih bolesti kod dece. To je isto jedno od izvanrednih odeljenja.

Kakva su ostala odjeljenja?

Gotovo u svim odeljenjima rade lekari koji su lideri u svojim oblastima. Moram spomenuti i Odeljenje reumatologije kao i imunologije. To su takođe odeljenja čiji lekari su lideri u svojim oblastima. Oni primenjuju modernu terapiju, ono što se pojavi u Evropi, primenjuje se i kod nas.

Odeljenje dječje hirurgije je u samom vrhu uspješnosti?

U pravu ste. hirurgija nam je vrlo uspešna. Neka ODELJENJA su specifična.

Priznanja i donacije

Najradosniji smo kada nam jave da pripremimo timove za transplantaciju jer smo svesni da je na pomolu organ, koji će produžiti život jednom ili više dece...

Prilikom proslave 100 godina Dečje klinike u Narodnom pozorištu u Beogradu, mi kao klinika dobili smo brojna priznanja od institucija i pojedinaca, a i mi smo se trudili da ne zaboravimo ko su nam osnivači i darodavci, humani ljudi.

Priznanje Univerzitetske dečje klinike za poseban doprinos dobili su: predsednik Srbije Aleksandar Vučić, predsednik Republike Srpske Milorad Dodik, premijer Srbije Miloš Vučević, ministar zdravlja Zlatibor Lončar, ministar za javna ulaganja Darko Glišič, gradonačelnik Beograda Aleksandar Šapić, patrijarh srpski Porfirije, prestolonaslednik Aleksandar Karađorđević, ambasador Srbije u Saudijskoj Arabiji Muhamed Jusufspahić, predsednik Vlade Republike Srpske Radovan Višković, ministar zdravlja Republike Srpske Alen Šeranić i Nikola Petrović kao i humanitarne fondacije za pomoć obolelih.

Samo ove godine po 100.000 evra našoj klinici su darovali „Banka intesa“, FK „Crvena zvezda“, Nikola Petrović i mnoge humanitarne fondacije za pomoć oboleloj deci.

Univerzitetska dečja klinika je odala priznanje mnogima koji su značajni za naš rad. Naravno da smo priznanje uručili Karađorđevićima, koji su osnivači. Priznanja smo uručili i društvenim organizacijama, političkim ličnostima, donatorima... Dali smo i svim prijateljima članovima KVINTE.

Drag poklon od kolega iz Niša

PRVA transplantacija materice u svetu obavljena je u Univrzitetskoj dečjoj klinici u Beogradu. To je radio međunarodni tim koji je organizovao i predvodio naš profesor dr Miroslav Đorđević. Transplantacija je uspešno obavljena u našoj klinici u oktobru 2020. godine.

Kuriozitet je da se ta 37-šnja gospođa, kojoj je presađena materica od sestre bliznakinje, kasnije porodila i ostvarila se kao majka. To je samo jedan od podviga naše klinike u Tiršovoj 10.

Pored toga, kod nas je urađena transplantacija testisa, to su jednojajčani blizanci i jedan brat iz nekog razloga ostao je bez testisa. Od drugog brata presađen mu je testis i odmah nakon presađivanja tog testisa njemu je uspostavljena endokrina funkcija. To je drugo presađivanje testisa u svetu, tako da i taj uspeh naše klinike treba s ponosom napomenuti jer je naš dr Miroslav Đorđević, zajedno sa timomom, uradio prvu transplantaciju u Srbiji, a samo još jedna je urađena u svetu. U timu prof. Đorđevvića bila su i dva doktora sa Harvarda: dr Branko Bojović i dr Diken Ko. Operacija je obavljena 3. decembra 2019. godine i ušla u anale svetske medicine...

Zatim, Odeljenje ortopedije, koje postoji nekoliko desetina godina, bavi se gotovo svim urođenim anomalijama skeleta kod dece. Tu imamo saradnju s ruskim kolegom doktorom Dmitrijem Popkovim, koji radi u Ilizarov centru u Hurganu. Dr Popkov dolazi kod nas u Beograd, četiri-pet puta godišnje i obavlja najteže operacije, deformiteta ekstremiteta. Dr Popkov sve operacije radi s timom Dečje klinike.

Kakva je saradnja sa našim ekspertima iz dječje medicine?

Najveći broj operacija radimo apsolutno sami. Povremeno, kada su u pitanju neki zahvati koji nisu rutinski i nisu iz domena naše patologije, sarađujemo s kolegama iz drugih institucija, ali to je zaista povremeno.

U okviru međunarodne saradnje da li prednjače ljekari iz Londona?

Tačno, dolazi nam tim iz Londona koji se bavi transplantacijom bubrega, mi u našoj klinici radimo transplantaciju kadavera i živih donatora. S timom doktora iz Londona, koji predvodi dok-

Tim hirurga

Univerzitetske dečje

klinike

Tiršova uradio

tor Martin Kostolni, uspostavili smo saradnju pre nekoliko godina. Oni rade laparoskopsko odstranjenje bubrega od donora, znači od živih donora , to su uglavnom roditelji davaoci organa i oni to rade laparoskopski. To je manji operativni zahvat za donora, a postoperativni tok je mnogo brži, već za nekoliko dana roditelj može da ide iz bolnice.

Koliko je primjenjiva ta metoda od kada ste direktor?

Jeste, rađene su transplantacije i pre toga, a mi poslednjih godina primenjujemo laparoskopiju.

Naši doktori to rade. Troje naših kolega boravilo je na stručnom usavršavanju u Engleskoj iz oblasti transplantacione hirurgije.

Radimo neonatalnu hirurgiju, operišemo decu od prvog dana rođenja.

kad je u pitanju zdravlje naše dece i njihova budućnost, bivaju uvek ispunjeni. Sve što smo tražili, bilo opremu ili kadrovsko popunjenje, ministar je odobrio.

Svi vodeći ljekari zdravstva Srbije naglašavaju da je značaj preventive najbolja odbrana zdravlja, što u celosti podržava ministar Zlatibor Lončar, odnos Tiršove?

To i jeste razlog da kod nas skoro da i ne postoji lista čekanja, a i veoma smo aktivni kad je u pitanju dečja preventiva.

Mada dečju preventivu rade lekari domova zdravlja, oni to zapravo rade uz našu stručnu sugestiju i inovativne metode. Pogotovo što postoje bolesti koje se javljaju i koje su česte i zajedno tragamo za njima. To je

Kongresi

Imali smo Svetski kongres iz neonatalne hirurgije.

Imali smo i Evropski kongres 2020. godine. Prošle godine bio je Svetski kongres dečje hirurgije. Imali smo dva sastanka Evropske asocijacije dečjih ortopeda, oba su bila 2023. godine.

Kakav je odnos Ministarstva zdravlja prema našoj najuspješnijoj dječjoj klinici?

Odnos je obostrano izvanredan. Mogao bi biti primer i za odrasle, pogotovo što svi naši opravdani zahtevi,

takozvani skrining, recimo razvojni poremećaj kuka. Svako dete pregleda pedijatar da se vidi da li ima neki nalaz na kukovima, a i šalje se u pedijatrijske ustanove da se vidi da li ima razvojni poremećaj kuka. Jer ako se to na vreme dijagnostikuje onda je lečenje uspešno. Takođe, u pubertetu, zbog naglog rasta dece, javljaju se deformiteti na kičmenom stubu i onda pedijatri i fizijatri domova zdravlja tragaju za tim deformitetima i ako taj deformitet uoče, onda se pacijenti upućuju kod nas ili u Kliniku na Banjici, gde se obavlja lečenje.

Preventivni rad je jako izražen u Srbiji, ali to je na nivou primarne zdravstvene zaštite, odnosno na nivou domova zdravlja. I, ako se uoči neki problem, onda domovi zdravlja nama ciljano šalju pacijente. To je jako bitno. Sad smo pod Ministarstvom zdravlja krenuli u te preventivne preglede koje smo mi i obavljali, to su pregledi kardiologa, nefrologa, urologa, ortopeda, fizijatra. Traga se najčešće za bolestima da se vidi sistemski da li ima nešto. Veliki je benefit od tih preventivnih pregleda.

Liste čekanja?

Kod nas se malo duže čeka na magnetnu rezonancu glave koja se radi u uslovima opšte anestezije. Tu je lista čekanja malo duža, ne može se uraditi više od nekoliko dnevno. Sve ostalo se obavlja u korektnim rokovima.

Mi smo vodeća klinika u bivšoj Jugoslaviji za lečenje bolesti dece, lider smo u dečjoj medicini. Nama dolaze pacijenti iz Makedonije, Bosne i Hercegovine, Crne Gore, čak iz Slovenije. Mi smo apsolutni lider.

Kakva je saradnja sa Republikom Srpskom i Univerzitetskim kliničkim centrom u Banjaluci i Foči?

Imamo odličnu saradnju, svi pacijenti iz Republike Srpske koji tamo ne mogu da se leče, dolaze u Beograd u našu kliniku.

Ja sam profesor u Foči i u Banjaluci, znači lekari Dečje klinike su i profesori u Republici Srpskoj. Ja idem da radim u Trebinje, Istočno Sarajevo, Bijeljinu, a radim i u Banjaluci. Takođe, i ostali lekari Dečje klinike predaju i rade u Republici Srpskoj jer je to zapravo jedno zdravstvo.

A lekari iz Banjaluke dolaze ovde na specijalizaciju, tako da je saradnja obostrana.

Da li je prostor problem klinike?

Dobro je što se gradi nova zgrada, jer ova postojeća je postala tesna. Pravljena je pre stotinu godina i tada je bilo manje dece, a manje se lečilo dece nego sada. Zgrada je lepo sređena i renovirana, imamo odličnu opremu ali, ipak, je malo tesna. S novom zgradom poboljšaćemo uslove za smeštaj dece i njihovih roditelja a, naravno, i uslove za rad lekara, medicinskih sestara i medicinska naučna istraga osoblja. Nedostaje nam dovoljno prostora za brojne edukacije. U novoj zgradi će biti sve najnovije i najmodernije, tome se svi istinski radujemo jer se trudimo da sustignemo najrazvijenije.

Koliko djece godišnje posjeti

Tiršovu 10?

Godišnje se uradi preko 9.000 operacija, a od 150.000-180.000 dece se pregleda u našoj klinici. Ovde se uradi preko 700.000 laboratorijskih dijagnostičkih usluga i preko 60.000 radioloških usluga. Ogromna je frekvencija, tako da je proširenje neophodno. Nova zgrada će biti moderna klinika, jedan savremeni koncept dečje medicine. Na jednom mestu biće sve neophodno za lečenje dece. Biće to nova klinika za drugi novi vek.

Mi smo poslednjih godina primili mnogo novih, mladih lekara. To su bili izvanredni studenti medicine, a nekoliko mladih lekara smo primili preko projekta Ministarstva zdravlja. Dobili smo izvanredne mlade lekare, mada lekara nikad nije dosta, takođe i medicinskih sestara.

Kakva je situacija s medicinskim sestrama i tehničarima?

Naša dečja klinika je baza kadrova, specijalizacija i posebno uspešna nastavna baza i za medicinske se -

Monografija 100 godina rada Najava drugog

veka

Monografija 100 godina Univerzitetske dečje klinike u Beogradu posvećena je zdravlju dece kao zalogu za budućnost.

Ova retko bogata monografija prezentovana na 726 stranica, sadrži tekstove obogaćene sa 690 priloga, (153 tabele, dva grafikona, dve sheme, 533 fotografije, skenirana dokumenta, isečke iz novina, arhitektonske planove) a učestvovalo je 67 autora.

Uz većinu tekstova priložen je i sažetak na engleskom jeziku.

U recenziji akademika dr Vladimira Kostića, neurologa, da ova monografija pokušava da onemogući bilo kakav pokušaj bekstva od sećanja, barem onih ključnih podataka iz istorije jedne kuće koja je Magna mater, naše (i ne samo naše) pedijatrije, vezano za Dečju kliniku u Tiršovoj, koja je uvek predstavljala jemstvo, sigurnost i poverenje roditelja i dece u zemlji Srbiji i njenom okruženju.

Na koricama monografije odštampane su još dve recenzije: prof. dr Ljubica Đukanović i prof. dr Radovan Bogdanović.

stre, one dolaze ovde u sklopu srednje škole i strukovnih studija. Ovde provode deo prakse. Medicinske sestre iz Dečje klinike su izvanredne, gde god da su otišle da rade pokazale su da su veoma uspešne i cenjene. One imaju izvanrednu edukaciju. Ovo je timski rad, NEMA SREĆE BEZ DOBRE MEDICINSKE SESTRE. Koliko je važan rad hirurga u operacionoj sali toliko je važan rad sestre na odeljenju. One su ceo dan sa našim malim pacijentima i njihovim roditeljima. One su stalno tu i vrlo su nam važne. Medicinske sestre i lekar su neraskidiv deo tima.

Izgled buduće Tiršove

Danas, i pored već proteklih četvrt dvadeset prvog veka, prisutnih najsavremenijih tehnologija i najsavremenije opreme u svim sferama života, a uz to uvođenje i primenu doskoro nezamislivih mogućnosti veštačke inteligencije, malo je bolnica, a pogotovo specijalnih, koje se mogu argumetnovano smatrati, po vrhunskim rezultatima koje postižu, jedinstvenim ne samo u Srbiji, Evropi, već i svetu. Za jednu od retkih koja se sa punim pravom može nazvati da je jedinstvena je upravo Specijalna oftalmološka bolnica „Eliksir“ u Novom Sadu. Osnivač bolnice je Srpsko-rusko društvo „Eliksir Kaluga“ d.o.o. Novi Sad. Bolnica je, u suštini, nastavila rad Specijalističke oftamološke ordinacije „Eliksir“ kao i saradnju sa Očnom klinikom „Fjodorov“ iz Kaluge (Nacionalnim medicinskim istraživačkim centrom, MNTK Mikrohirurgija oka „Fjodorov“, Ministarstva zdravlja Ruske Federacije). Ta saradnja, koja je započela davne 1989. godine, u okviru programa „Eliksira“ - U Kalugu po bolji viddoprinela je da Bolnica „Eliksir“ danas raspolaže vrhunskim medicinskim kadrom i najsavremenijom opremom za dijagnostiku, operacije i lečenje oka dece i odraslih, te je i ekskluzivni predstavnik Očne klinike „Fjodorov“ u Srbiji i regionu.

O istorijatu i celokupnom predstavljanju ove bolnice, o njenom razvoju, od osnivanja i putu pređenom do danas, kao i o izvanrednim stručnim rezultatima u lečenju očnih oboljenja, ovoga puta razgovaramo sa direktorkom gospođom Ružom Subotić. Ekskluzivno, za časopis „Medici. com“ razgovor vodio Rade-Radenko Karalić.

Recite nam nešto o tom putu, koji traje već preko 35 godina, i kome ste posvetili najlepše godine svog života, a na kome i danas intenzivno radite?

Sve je počelo zahvaljujući medicinskom časopisu „Eliksir“ koji sam pokrenula 1972. godine i uređivala više od 40 godina. Jedna od deviza časopisa je bila: „Sve najbolje u medicini mora biti predstavljeno u „Eliksiru“. Zahvaljujući pokroviteljstvu SZO, koje je „Eliksir“ imao, i brojnim medicinskim stručnjacima koji su sarađivali sa redakcijom časopisa, takvu devizu je bilo moguće realizovati, istina, nije bilo lako.

Specijalna oftalmološka bolnica „Eliksir“

U to vreme pročula se u svetu nova škola izuzetnog oftalmohirurga ruskog akademika Svjatoslava Nikolajeviča Fjodorova. Uspostavili smo saradnju sa njim i počeli program pod nazivom „U Kalugu po bolji vid“, pomogli hiljadama pacijenata da poprave, sačuvaju i vrate svoj vid. I zbog toga nastala je Specijalistička oftalmološka ordinacija „Eliksir“ u kojoj su stalno gostovali ruski oftalmohirurzi, pregledali pacijente, upućivali one kojima se može pomoći

u Rusiju, u Očnu kliniku „Fjodorov“ u Kalugi i kontrolisali njihovo postoperativno stanje u Novom Sadu. Na taj način „Eliksir“- medicinski časopis, i „Eliksir“- specijalistička oftalmološka ordinacija, ostvarivali su svoju misiju posvećenu dobrom vidu i podstakli razvoj i proširenje tog programa, te je 2007. godine otvorena i Specijalna oftalmološka bolnica „Eliksir“, sa sedištem u Novom Sadu (Marodićeva 12).

Poštovana direktorko, da li su tačna naša saznanja da u Bolnicu „Eliksir“ redovno dolaze najpoznatiji ruski oftamolozi sa Očne klinike „Fjodorov“ iz Kaluge?

Da, oni stalno gostuju kod nas, a mnogi su i stalni članovi našeg medicinskog tima te, pored naših oftalmologa, obavljaju specijalističke preglede pacijenta, prate postoperativni tok njihovog lečenja posle intervencije u Rusiji, pomažu pacijentima iz Srbije i regiona operacijama oka i laserskim intervencijama. Oni, osim toga, pružaju snažnu podršku medicinskom timu

Razgovor vodio: Rade-Radenko Karalić
R. Karalić u razgovoru sa direktorkom R. Subotić
Mia Gambiroža, pacijent iz Kanade

Bolnice u usvajanju novih tehnologija u oftalmologiji.

Sa kojim najvažnijim državnim organizacijama i institucijama u Srbiji najviše sarađujete?

Sa mnogima, ali posebno bih istakla saradnju Bolnice „Eliksir“ sa Ministarstvom zdravlja Republike Srbije i Republičkim fondom za zdravstveno osiguranje (RFZO) zahvaljujući kojoj su mnogi pacijenti, sa duge liste čekanja za operaciju katarakte, operisani u Bolnici „Eliksir“, o trošku Fonda ponovo progledali. Ruski oftalmohirurzi su vrlo zaslužni za to, jer su prihvatili da, pored svog obimnog hirurškog programa u Bolnici”Eliksir”, operišu i pacijente iz programa Ministarstva zdravlja.

Oni su podržali nastojanje Bolnice “Eliksir” da se svim pacijentima te operacije urade stručno i odgovorno, na isto tako visokom nivou kao da su rađene u Rusiji.

Slogan „’Eliksir’ - Vaš put ka svetlosti“ mnogo lepo zvuči. Zbog čega i kako je nastao? Više od 27.000 operacija i medicinskih intervencija urađenih u Bolnici “Eliksir” u Novom Sadu, preko 30.000 medicinskih intervencija urađenih u Rusiji, na Očnoj klinici “Fjodorov” u Kalugi i njihovi dobri rezultati, predstavlja veliki doprinos Bolnice „Eliksir“ ukupnoj zdravstvenoj zaštiti stanovništva naše zemlje. Tome treba dodati da je Bolnica “Eliksir” opremljena najsa-

Pregled specijaliste dr J. Ribin, laserski hirurg sa Očne klinike „Fjodorov“ iz Rusije

vremenijom opremom za dijagnostiku i lečenje oka dece i odraslih. U proseku se obavi oko 22 hiljade prvih i kontrolnih pregleda godišnje. Ove impozantne brojke nedvosmisleno potvrđuju uspešnost ove dugogodišnje saradnje Bolnice „Eliksir“ i Očne klinike „Fjodorov“ koja je mnogim pacijentima pomogla da vrate svetlost u oko i zato je naš slogan „Vaš put ka svetlosti“ zapravo i naš zaštitni znak.

Saznali smo da ste pre tri godine započeli novi program: „Lakše do boljeg vida – ’Eliksir’ dolazi kod Vas“!

Da, u pravu ste, ponosimo se time. Naime, taj novi program, koji je započet 2021. godine, realizujemo u saradnji s lokalnim samoupravama te stanovnici određenih gradova i opština u Srbiji imaju mogućnost besplatnih pregleda u svom mestu, jer oftalmolozi naše bolnice dolaze do njih i pregledaju pacijente. Za te potrebe kupljen je poseban kombi, kao i specijalna, mobilna dijagnostička oprema za oftalmološke preglede dece i odraslih, koja se koristi prilikom odlaska na teren.

Dogovor o saradnji R. Karalić, R. Subotić i dr J.Ribin

Na taj način je stanovnicima većih, ali prvenstveno manjih mesta omogućen kvalitetan oftalmološki pregled i pravovremeno otkrivanje, praćenje i lečenje očnih oboljenja, kao što su promene na očnom dnu usled šećerne bolesti (dijabetesna retinopatija), glaukoma (povišenog očnog pritiska), ambliopije (slabovidost kod dece) i dr.

Koje su najčešće operacije koje se rade u Bolnici „Eliksir“?

To je svakako operacija katarakte, koju treba raditi onda kada čovek oseti probleme sa vidom. Naime, ne treba čekati da katarakta sazri, kako se nekada verovalo. Kataraktu treba operisati čim se pojavi i počne da utiče na kvalitet života. Naša Specijalna oftalmološka bolnica “Eliksir” prati najnovija dostignuća u oblasti oftalmologije, a naročito u vezi sa operacijama katarakte, koristeći najsavremeniju metodu ultrazvuka, a sada i uz podršku femto-lasera.

Ova nova femto tehnologija omogućava izuzetnu preciznost i minimalnu invazivnost, što rezultuje bržim oporavkom i boljim ishodima operacije. Femto laser predstavlja najmoderniji pristup u operaciji katarakte, pružajući vrhunsku sigurnost i efikasnost tokom zahvata.

Naša bolnica od 2023. godine raspolaže najsavremenijim femto-laserom i zato možemo da garantujemo pacijentima bezbednu i efikasnu operaciju katarakte uz femto podršku, brži oporavak i dobre rezultate u lečenju.

Koja je prednost operacije katarakte uz podršku femto-lasera?

Vreme operacije kao i period oporavka su kraći. Manje invazivno delovanje – laser omogućava da se minimalizuje energetsko delovanje na unutrašnje strukture oka i izbegnu postoperativne komplikacije, pogotovo kod oka gde postoje i popratne bolesti kao što je: glaukom, promene izazvane dijabetesom, distrofija rožnjače, patologija retine.

Da li radite lasersku operaciju skidanja dioptrije femto lasikom kako bi se pacijenti oslobodili naočara i sočiva?

Radimo, na radost velikog broja pacijenata koji više ne nose ni sočiva ni naočare koji su sanjali o tome da ih se oslobode, a posle ovakve intervencije imaju maksimalni kvalitet vida. Femto lasik je trenutno najoptimalniji način laserske korekcije vida kod osoba koje imaju: kratkovidost, dalekovidost i astigmatizam. Novi kvalitet vida je na korak od svakog ko poželi da skine dioptriju. Zahvaljujući tehnologiji Femto lasik čak i pacijenti sa tankom rožnjačom mogu da računaju na uspešan ishod operacije, uz brzu, bezbolnu i bezbednu proceduru personalizovane femtolaserske korekcije vida. Takođe, uvođenje ove tehnologije visoke preciznosti, dalo je nadu osobama sa visokim stepenom miopije, dalekovidosti i astigmatizma, kojima ranije refrakciona operacija nije bila indikovana.

Da li radite operaciju zamene sočiva u refraktivne svrhe?

Ugradnja intraokularnih sočiva (IOS) kojom se bavimo jedna je od metoda za ispravljanje vida i dobra opcija za osobe koje žele trajno da uklone dioptriju. Preporučuje se osobama sa višestrukim refrakcionim manama, kao što su: miopija, hipermetropija i astigmatizam. Postupak ugradnje IOS je kratka hirurška intervencija, kojom se prirodna sočiva oka zamene veštačkim. Odluku o vrsti sočiva zajedno donose oftalmolog i pacijent. Postupak

R. Subotić, direktorka, na svečanom obeležavanju 35. godina uspešne saradnje sa Očnom klinikom „Fjodorov“

je siguran i brz, a nakon intervencije pacijent treba samo da redovno kapa kapi i po savetu oftalmologa dolazi na kontrolne preglede.

Možete li nešto više reći o laserskoj tehnologiji i radu kabineta za Argon i YAG laser? Laserska tehnologija se najviše primenjuje u oftlmologiji i dobro je što imamo i posebne kabinete za Argon laser i YAG laser. U njima se ambulantno rešavaju mnogi problemi u vezi sa oboljenjima oka. Upravo laserski zrak može bezbolno, beskrvno i beskontaktno da sačuva mrežnjaču pacijenta obolelog od dijabetesa, koji ima visoku kratkovidost i druge pro-

Indikacije za intervencije YAG laserom su: preventiva i lečenje glaukoma; sekundarna katarakta i fibroza zadnje kapsule sočiva oka.

Opštepoznato je da je dijabetes uzročnik velikog broja oboljenja, a pored ostalog i oftalmoloških komplikacija. Da li uspešno lečite i te komplikacije?

To je važna oblast naše delatnosti. Mnogim akcijama podstičemo obolele od dijabetesa da se jave na preventivne preglede oftalmologu, sarađujemo sa udruženjima obolelih od dijabetesa i pored konkretnih medicinskih usluga koje im pruža naš tim učestvuje-

bleme u vezi sa vidom, promenama na krvnim sudovima mrežnjače izazvane šećernom bolešću, povišenim krvnim pritiskom, trombozom malih i velikih krvnih sudova oka; distrofične promene mrežnjače na periferiji oka; rupture i retinošize mrežnjače; plitke ablacije retine.

mo i u njihovoj edukaciji sa ciljem da vode brigu o tome kako da sačuvaju svoj vid. Jer, u trenutku kada se postavi dijagnoza šećerne bolesti, pacijent treba da se javi oftalmologu radi preventivnog pregleda u cilju sprečavanja mogućih neželjenih komplikacija i narušavanja kvaliteta vida. Redovne

Lasersko skidanje dioptrije dr J. Ribin

kontrole i pravovremeno započinjanje laserske fotokoagulacije retine, u slučaju pojave promena na očnom dnu, je od presudnog značaja za očuvanje centralnog vida.

Posedujete i Kabinet za konzervativnu terapiju i rehabilitaciju vida koji ste osnovali pre više godina. Da li se i taj program rehabilitacije vida odvija u saradnji sa Očnom klinikom „Fjodorov“?

Kabinet za konzervativnu terapiju i rehabilitaciju vida Specijalne oftalmološke bolnice “Eliksir” osnovan je januara 2008. godine, kada je Bolnica „Eliksir“ i otvorena. Zapravo, program rehabilitacije vida započeli smo 1993. godine u okviru delatnosti Specijalističke oftalmološke ordinacije “Eliksir”.

U ovom kabinetu se, pored konvencionalnih metoda konzervativnog i medikamentoznog lečenja oka, pi-

menjuju i standardni postupci rehabilitacije vida.

Da li se Vaša bolnica bavi i optikom?

Ne, mi se bavimo samo dijagnozom i lečenjem oka i dajemo pacijentima recepte za naočare i kontaktna sočiva. Međutim, pomagala za korekciju vida naši pacijenti jednostavnije i lakše pribavljaju zahvaljujući tome što postoji i posebna organizaciona jedinica našeg osnivača „Eliksir-Kaluga“ DOO Optika „Eliksir“.

Da li nam možete u najkraćem taksativno pobrojati raznovrsnu delatnost Vaše bolnice „Eliksir“?

• 35 godina uspešne saradnje s ruskom Očnom klinikom „Fjodorov“: stalno gostovanje ruskih oftalmohirurga;

• Najnovija dostignuća u lečenju očnih oboljenja;

Operacija katarakte uz

podršku Femto-lasera dr

S. Romanjenko

21/444-716, +381 21/445-946, ili mobilNi +381 65/444-7166

65/4447166 i +381 60/4055114.

• Savremena medicinska oprema za dijagnostiku i operacije;

• Pregledi, lečenje i operacije oka dece i odraslih;

• Specijalni programi za lečenje razrokosti i slabovidosti;

• Operacije katarakte BEZ ČEKANJA;

• Skidanje dioptrije femto-laserom najnovije generacije;

• Operacija katarakte uz podršku femto-lasera;

• Posebna ANTI VEGF TERAPIJA KOD MAKULODISTROFIJE;

• Stalne humanitarne akcije: besplatno merenje očnog pritiska radi ranog otkrivanja glaukoma, besplatni ofalmološki pregledi za trudnice, skrinig pregledi za obolele od dijabetesa, popusti na laserske intervencije i sve pakete pregleda, bar dva puta godišnje.

• U Bolnici “Eliksir”operacije katarakte o trošku Fonda i specijalni popusti za operacije drugog oka.

Poštovana direktorko, još jedanput se od srca zahvaljujem na odvojenom vremenu za naš razgovor. Slušajući Vašu priču ne možemo se oteti utisku da o svemu što ste učinili govorite kao da je to sve bilo jednostavno, a i Vi i ja znamo da nije. Zato je bilo posebno zadovoljstvo slušati Vas dok smo razgovarali u divno uređenim prostorijama Bolnice „Eliksir“, koja se nalazi u blizini centra grada u dva prelepa zdanja na ukupnom prostoru od 1000 m2. Takva bolnica sa modernom dijagnostičkom opremom, hirurškim blokom sa dve operacione sale, Odeljenjem dnevne bolnice, obiljem dijagnostičkih i specijalističkih kabineta predstavlja jedinstveni projekat posvećen zdravlju. Sigurni smo da je Specijalna oftalmološka bolnica „Eliksir“ za svakog ko ima problema sa vidom sigurni put ka svetlosti.

Poštovani gospodine Karaliću, na kraju želim i ja Vama da se zahvalim što ste odvojili i vreme za razgovor i prostor u Vašem prelepom časopisu, vrhunskog kvaliteta, štampe, bogatom raznovrsnošću sadržaja i stručnih tekstova, razumljivo pisanih, ne samo za stručnjake iz oblasti medicine, već i za obične građane.

Biće mi zadovoljstvo da ovaj intervju bude početak naše uspešne i dugoročne saradnje.

Čestitam Vam nedavni veliki jubilej- 20 godina od izlaska prvog broja, uz želju da još dugo i mnogo jubileja obeležavate.

Našim čitaocima, koji možda imaju potrebe da Nađu dobre oftalmologe i pomoć za svoj vid, poručujemo da je dovoljNo da pozovu dežurNe telefoNe bolNice „eliksir“ (+381
kao i Na viber brojeve: +381

аша вриједна сарадница и, без претјеривања то можемо рећи, истински амбасадор српске науке у свијету проф. др Елизабета Риста-

ћ, чије се име јасно препо-

на свјетској научној позорници, а

чак и до егзотичних култура и нама мање познатих, али веома напредних цивилизација југоисточне Азије, које посљедњих година биљеже веома динамичан развој и процват, боравила је од 9. до 15. новембра у прелијепом Куала Лумпуру, гдје је на позив Националног универзитета одбране Малезије одржала предавање на тему „Микроорганизми као здравствени и безбједносни изазов: Реалности и посљедице напретка и злоупотребе науке, епидемије и пандемије, климатске промјене, миграције и биотероризам - шта смо преживјели и шта

нас тек очекује“ . Предавање је трајало два сата, а обухватило је све аспекте комплексних биолошких ризика у актуелном геополитичком моменту, сагледаних кроз призму изузетног напретка науке

климатских промјена и великих миграција на ове појаве. Предавању су присуствовали ректор, проректори, као и декани факултета који улазе у састав Националног универзитета одбране Малезије (Војне академије, Факултета за медицину и војно здравство, Факултета за менаџмент одбране), истакнути професори, одабрани студенти и јавни дјелатници. Својим присуством је домаћинима, али прије свега предавачу, посебну част учинио актуелни амбасадор Уједињених Арапских Емирата (УАЕ) у Малезији ЊЕ Мубарак

говори, изазвало је пажњу присутних и велико интересовање, а у богатој дискусији која је услиједила непосредно након предавања и током радне посјете апострофирано је задовољство свеобухватним приступом у сагледавању здравствених и безбједносних пријетњи данашњице, а посебно биолошких ризика, пријетњи нових епидемија/пандемија и њихових могућих посљедица, као и других видова биолошког угрожавања. Разматрана су и питања етичности биолошких истраживања, законске регулативе, жестоких геополитичких сучељавања са којима се на том фону суочавамо посљедњих година, посебно интензивно од почетка кризе изазване пандемијом КОВИД-19. Високопозитивно је оцијењен и став о потреби за јачањем механизама примјене Биолошке конвенције и формирања

независног експертског тијела у

оквиру система УН, што активно подржава и сама Малезија и

велики број земаља свијета, а на

чему посебно инсистирају Руска Фдерација и НР Кина. Осим тога, исказан је и интерес за сарадњу са нашом земљом у сфери регенеративне медицине, другим областима медицинске и војне науке, здравствене економије и политике, као и у оквиру примјене Резолуције 1325 УН „Жена, мир, безбједност“ али кроз призму специфичног контекста очувања традиционалних вриједности које се данас налазе под посебним ударом, а у малезијском друштву се изузетно његују.

на

члан,

ција југоисточне

а) којом ова земља,

Исказана је и жеља за унапређењем сарадње са

се на-

и међу њеним оснивачима, ускоро почиње да предсједава, али је истакнуто и да платформа БРИКС-а чији је Малезија, са Индонезијом и Тајландом, управо постала партнер, као невојна, већ пословно-економска организација људи и земаља различитих нација, конфесија, развојних нивоа, друштвених и државних уређења, отвара потенцијално много могућности

зеј палате Султаната, рушевине тврђаве Фамосе и барокну цркву Светог Павла. Током боравка у овој прелијепој земљи, организована је посета административном центру

државе који се налази у граду Путраџаји у коме се налази сје-

диште Владе, свих министарстава, бројних банака, Палата правде и чувена РужичастаПутра џамија која представља једну од највећих туристичких

атракција и сврстава се међу 10 најљепших џамија у свету. Малезија је, иначе, савезна уставна монархија која се састоји од тринаест савезних држава и три вилајета. Ова, дијелом континентална, а дијелом острвска др-

жава окружена је Јужнокинеским

морем. Већину становника чине Малајци, затим Кинези, Индуси и други народи. Државна религија је ислам, мада је у друштву карактеристична и расна, културолошка и вјерска разноликост и спој традиционалних и модерних вриједности. Ова земља добрих и изузетно љубазних људи има око 30.000.000 становника, бурно се развија, прије свега, захваљујући налазиштима нафте и другим природним богатствима која поседује. Посебна пажња посвећује се напретку науке, медицине, развоју образовања, здравственог туризма. Правни систем земље представља спој англосаксонског и шеријатског права, а за тероризам и посједовање психоактивних илегалних супстанци изриче се смртна казна.

Наша сарадница је уживала у природним љепотама, зачињеној, веома укусној и витаминима богатој храни, разговору са сјајним људима и у поптуности

Od 24. do 26. oktobra 2024. godine, u „Sava“ centru u Beogradu održan je XXV kongres Udruženja kardiologa Srbije, koji je okupio 1016 učesnika i obeležen izuzetno velikom posećenošću. Ovo prestižno okupljanje istaknutih stručnjaka iz oblasti kardiologije donelo je razmenu najnovijih saznanja, preporuka i inovacija u lečenju kardiovaskularnih oboljenja. Organizator kongresa, prof. dr Dragan Simić, aktuelni predsednik Udruženja kardiologa Srbije, odradio je izuzetan posao u kreiranju sadržajno bogatog programa i sjajne atmosfere koja je obeležila ovo trodnevno okupljanje.

Svečano otvaranje i program pun umetničkog sjaja Kongres je svečano otvoren u glamuroznoj atmosferi, uz voditeljku Ka-

XXV kongres Udruženja kardiologa Srbije
Vrhunac naučnih i stručnih
dostignuća u oblasti kardiologije
Pripremila: Tijana Komazec

tarinu Bajec, dok su poseban pečat programu dali glumci Nela Mihailović, Radoš Bajić i Tihomir Stanić. Svečanom otvaranju prisustvovali su i dekan Medicinskog fakulteta Univerziteta u Beogradu, prof. dr Tatjana Simić, kao i državni sekretar u Ministarstvu zdravlja Republike Srbije dr Mirsad Đerlek. Poseban trenutak kongresa bila je poseta predsednika Evropskog udruženja kardiologa prof. Thomasa F. Lüshera, koji je održao zapaženo predavanje na temu „Shaping Cutting-Edge

Innovations in Cardiology“. Udruženje kardiologa Srbije mu je tom prilikom uručilo zlatnu medalju kao priznanje za njegov doprinos razvoju kardiologije na globalnom nivou.

Program i stručni sadržaji Pod stručnim vođstvom prof. dr Dragana Simića, program kongresa obuhvatio je širok spektar tema iz oblasti kardiologije, od bazičnih koncepta kardiovaskularnih oboljenja do praktičnih smernica za savremeno lečenje.

Kroz plenarna predavanja, tematske oralne sesije i poster prezentacije, učesnici su imali priliku da se upoznaju s najnovijim dostignućima u dijagnostici, terapiji i prevenciji.

Više desetina predavača, uključujući najuglednije kardiologe iz Srbije, regiona i Evrope, delilo je svoje iskustvo i rezultate istraživanja. Posebna pažnja posvećena je prikazivanju najboljih kardioloških publikacija i novim

evropskim smernicama koje su od značaja za svakodnevnu kliničku praksu. Promocija mladih stručnjaka Kongres je tradicionalno pružio podršku mladim lekarima i istraživačima kroz poster sesije i takmičenje mladih kardiologa. Sedmoro takmičara predstavilo je svoja istraživanja i ustanove, dok je pobednik osvojio kotizaciju za naredni kongres Evropskog udruženja kardiologa u Madridu 2025. godine, čime je dodatno istaknuta važnost ulaganja u mlade kadrove.

Prvi simpozijum medicinskih sestara i tehničara

Poseban događaj ovogodišnjeg

kongresa bio je prvi simpozijum medicinskih sestara i tehničara, koji je organizovala Tijana Komazec, predsednica Radne grupe za medicinske sestre i tehničare Udruženja kardiologa Srbije, u saradnji s Udruženjem kardiologa Srbije. Simpozijum, koji je akreditovao KMSTS, okupio je 300 učesnika, koji su predstavili svoje prezentacije iz oblasti nege i podrške pacijentima s kardiovaskularnim oboljenjima. Ovaj simpozijum dodatno je osvetlio važnost saradnje između medicinskih sestara, tehničara i lekara u unapređenju zdravstvene nege pacijenata.

Zaključak i budući planovi

Pod rukovodstvom prof. dr Dragana Simića, XXV kongres Udruženja kardiologa Srbije potvrdio je svoju ulogu ključnog naučnostručnog događaja u regionu. Ovo trodnevno okupljanje omogućilo je razmenu znanja i iskustava među vrhunskim stručnjacima, kao i afirmaciju mladih talenata. Spoj nauke, inovacija i kulture, uz odličnu organizaciju, postavio je visoke standarde za buduće kongrese.

Sledeći kongres Udruženja kardiologa Srbije biće održan od 24. do 26. oktobra 2025. godine na Zlatiboru, čime će se nastaviti tradicija unapređenja kardiološke prakse i naučnih istraživanja.

Miroslava Milošević glavna sestra Postkoronarne 1, i Klinike za urgentnu internu medicinu.

Ljiljana Kljajić glavna sestra Postkoronarne 2, i Službe urgentne kardiologije

Министар одбране Братислав Гашић уручио је официрима Војске Србије указе председника Републике и врховног команданта Војске Србије Александра Вучића о постављењима на нове дужности.

Бригадни генерал проф. др Драган Динчић постављен је на дужност начелника Управе за војно здравство, док је за начелника Војномедицинске академије постављен пуковник проф. др Ненад Перишић.

Министар Гашић, том приликом, честитао је официрима постављења на

нове дужности и пожелео много успеха у даљој каријери. Он је изразио уверење да ће новопостављени официри савесним и преданим радом наставити

Уамфитеатру Војномедицинске

академије, у организацији Клинике за физикалну медицину и рехабилитацију ВМА, 6. 12. 2024. одржана је свечаност поводом обележавања 50 година примене акупунктуре на ВМА. Клиника за физикалну медицину и рехабилитацију ВМА постоји 76 година и

две трећине тог времена се бави управо

да делују на даљем унапређењу војног здравства како би војни осигураници и грађани и убудуће имали најбољу здравствену заштиту у свим војноздравственим установама. Бригадни генерал проф. др Драган Динчић рођен је 24. децембра 1963. године у Гњилану. У професионалној војној служби је од 1991. године. Завршио је Медицински факултет 1989. године, магистеријум 1997. године, специјализацију 1998. године, ужу специјализацију 2001. године и докторат исте године. Био је на дужности заменика начелника Војномедицинске академије. Пуковник проф др. Ненад Перишић рођен је 18. децембра 1962. године у Београду. У професионалној војној служби је од 1988. године. Завршио је Медицински факултет

Уџбеник „Видео-асистирана торакоскопска хирургија”, аутора пуковника професора др Небојше Марића, начелника Одељења за грудну хирургију Клинике за грудне и кардијалне хиругије ВМА, представљен је 25. 11. 2024. у Дому Војске Србије. На овом веома посећеном догађају, презентована је књига о иновативној минимално инвазивној техници за детаљан преглед грудног коша, такозваној ВАТС методи, и она представља скуп искустава вишедеценијске праксе аутора у грудној

цедуру, анестезиолошки аспекти, постоперативна нега и физикални третман, могуће компликације, као и представљање новог технолошког приступа РАТС – роботски асистираној торакоскопској хирургији”, рекла је госпођа Сандић са закључком да је мисија Медија центра „Одбрана” посебно посвећена квалитету

Хирургија, на петој години интегрисаних академских студија медицине, као и за лекаре на здравственој специјализацији: „Кроз осам поглавља обрађен је историјат минимално инвазивне хирургије у земљи и свету, развој хируршке праксе минимално инвазивне грудне хирургије, ограничавајући фактори који утичу на избор пацијената за ВАТС про-

Mali je broj terapija u kardiologiji koje nemaju medikamentnu alternativu kao što je slučaj sa pejsmejker terapijom. Mali je broj terapija u medicini koje se smatraju jednim od najvećih dostignuća moderne medicine. Mali je broj terapija koje su rezultat perfektne saradnje lekara, elektroinženjera, IT stručnjaka i tehnologa. Ti epiteti, ali ne samo oni, s pravom se pripisuju pejsmejker terapiji.

U vezi sa terminom “pejsmejker”, a pre bilo kakvog daljeg izlaganja, treba objasniti dve činjenice. Prvo, radi se o anglicizmu (pacemaker) za koji je odavno i široko prihvaćen u našem jeziku, najpre jer nema adekvatan i kratak prevod a da to ne bude sintagma “vodič ritma”. Drugo, kada danas kažemo “pejsmejker” i u neformalnoj i u formalnoj (stručnoj) komunikaciji, svesno ili ne, korisitimo skraćen izraz umesto punog naziva “antibradikardni pejsmejker”. Jer, antibradikardni pejsmejkeri danas su samo deo pejsmejker terapije koja obuhvata i implantabilne karidoverter defibrilatore (ICD, Implantable Cardioverter Defibillator, engl.) i srčanu resinhronizacionu terapiju (CRT, Cardiac Resynchronization Therapy, engl). Srčani implantabilni elektronski uređaji (CIED, Cardiac Implantable Electronic Device, engl.) aktuelni je i sveobuhvatni naziv za antibradikardne pejsmejkere, ICD i CRT.

Istorija pejsmejker terapije

Duga je i fascinantna istorija pejsmejker terapije. Početkom 18. veka, italijanski lekar Luiđi Galvani objavio je svoje eksperimentalne nalaze gde opisuje efekat električne struje na mišiće žabljih nogu i srca, postavljajući temelje za modernu srčanu elektrofiziologiju. Rani pokušaji da se veštački daje i održava ritam rada ljudskog srca počeli su tridesetih godina prošlog veka pionirskim iskustvima australijskog anesteziologa Marka Lidveela i američkog fiziologa Alberta Hajmana u slučajevima srčane reanimacije. Albert Hajman je autor prvih publikacija o „oživljavanju zaustavljenog srca intrakardijalnom terapijom” pomoću „eksperimentalne upotrebe veštačkog pejsmejkera” uvodeći termin “pejsmejker” koji i danas koristimo. U Stokholmu, 1958. godine, kardiohirurg Ake Senning ugradio je prvi potpuno implantabilni pejsmejker. Uređaj je napravio medicinski inženjer Rune Elmkvist, a implantiran je Arne Larsonnu, 43-godišnjem bolesniku sa Adams–Stokesovim sindromom, koji je bio posledica miokarditisa. Prvi uređaj imao je masu 180 g (masa modernih pejsmejkera je od oko 20 do oko 50g). Kuriozitet je da je pulsni generator otkazao nakon nekoliko sati od ugradnje te je zamenjen istog dana. Arne Larsonu je zamena pejsmejkera urađena 26 puta, a umro je u 86. godini od karcinoma kože. Primena pejsmejker terapije u kliničkoj

Kratak osvrt na istoriju, sadašnjost i budućnost pejsmejker terapije

praksi prvo je dugo bila usmerena samo na lečenje Morgagni–Adams–Stokesovog sindroma, a tek kasnije, napredak u tehnologiji sa paralelnim proširenjem kliničkih indikacija za pejsing doveo je do kontinuiranih poboljšanja u ovoj oblasti. Početak 80-tih godina prošlog veka obeležila je prva ugradnja kardioverter defibrilatora (ICD), sam kraj veka pionirska primena resihronizacione terapije za srčanu slabost. Evolucija tehonologije donosi inovacije u veličini pejsmejkera, dugovečnosti, algoritmima, “leadless” sistemima (pejsmejkeri bez elektroda koji se implantiraju direktno u srce) i daljinskom praćenju bolesnika. U trenutku kada se činilo da je je razvoj pejsmejker terapije dostigao svoj vrhunac, da je u vezi sa novitetima u pejsingu “rečeno sve” i da se čeka napredak u polju genske terapije i terapije stem ćelijama (koje bi zaista promenilo paradigmu pejsinga, ali je i dalje vrlo daleko od kliničke primene), pojavljuje se tehnika pejsinga provodnog sistema srca koja pokreće debate svih eksperata i generiše kliničke studije intenzitetom koji je porediv “zlatnom dobu” pejsinga kada su u kliničku praksu uvođeni i ispitivani ICD i CRT.

Epidemiološki podaci o implantaciji CIED

Poslednjih decenija, broj ugradnji pejsmejkera (CIED) dramatično je povećan. Iz epidemiološke perspektive, starenje populacije i po-

boljšano preživljavanje pacijenata sa srčanim oboljenjima kojima je potencijalno potreban pejsmejker doveli su do značajnog povećanja stope implantacije. U određenim zemljama (ovde ubrajamo i našu), ubrzan ekonomski razvoj poslednjih godina pratio je i razvoj zdravstvenih službi te je razlog povećanja stope implantacija CIED i bolja informisanost lekara o indikacijama za ugradnju CIED i bolje referiranje bolesnika pejsmejker centrima. Procena je da se godišnje ugradi oko jedan milion uređaja u svetu i da incidenca implantacija i dalje raste. Godišnji broj implantacija CIED povećan je oko 10 puta u našoj zemlji u toku proteklih 20-ak godina, svedočeći o rastu dostupnosti i kvaliteta ove terapije u našoj zemlji. Ukoliko se ovaj trend nastavi, Srbija će ubrzo preteći i mnoge razvijene Evropske zemlje po broju implantacija CIED na milion stanovnika.

Osnovne indikacije i tipovi pejsmejker terapije

Antibradikardni pejsmejkeri. Tip i način pejsinga određeni su specifičnom prirodom bolesti provodnog sistema (disfunkcija sinusnog čvora,SND, atrioventrikularni, AV blok, itd.), a uvek uzimajući u obzir sistolnu funkciju leve komore. Generalno, pejsmejker terapija je indikovana u slučaju AV bloka visokog stepena ili kada su bradiaritmije simptomatske.

Implantabilni kardioverter defibrilatori. Dve su osnovne indikacije za ugradnju ICD: pri-

marna i sekundarna prevencija naprasne srčane smrti. Sekundarna prevencija naprasne srčane smrti podrazumeva ugradnju ICD kod bolesnika koji u preživeli VF (ventrikularnu fibrilaciju) ili VT (ventrikularnu tahikardiju). Kod tih bolesnika, smatramo da je rizik od ponovne aritmije visok, a ukoliko se VF ili VT desi bez prisustva medicinskog osoblja ili za reanimaciju obučenih civila, život može da spase samo ICD. Primarna prevencija naprasne srčane smrti podrazumeva ugradnju ICD kod bolesnika za koje se smatra da su u značajnom riziku od nastanka VT ili VF, ali do sada ove aritmije nisu imali. Na primer, to su bolesnici sa simptomatskom sistolnom srčanom slabošću čija je ejekciona frakcija leve komore ispod 35% uprkos optimalnoj medikamentnoj terapiji. Ili, određeni, visoko selektovani bolesnici sa urođenim proaritmogenim sindromima kao Brugada sindrom, Long QT sindrom, aritmogeni prolaps mitralne valvule itd.

Srčana resinhronizaciona terapija. Indikovana je kod bolesnika sa simptomatskom sistolnom srčanom slabošću, ejekcionom frakcijom leve komore ispod 35% uprkos optimalnoj medikamentnoj terapiji a čiji je QRS morfologije bloka leve grane i širine ≥130ms tj. ≥150ms ukoliko QRS nema morfologiju bloka leve grane. Koncept CRT-a je korigovanje elektromehaničke disinhronije (za šta medikamentna terapija nema sposobnost). CRT se takođe ugrađuje kod bolesnika koji imaju indikaciju za bradikardni pejsmejker i očekuje se visok procenat komorskog pejsinga, a kojima je ejekciona frakcija leve komore ≤40%. Razlog za to je što je dokazano da kod ovih bolesnika običan ventrikularni pejsing može dodatno pogoršati sistolnu funkciju leve komore. Ventrikularni pejsing generiše obrazac elektromehaničke aktivacije isti ili sličan kao blok leve grane. Hronični blok leve grane, kao i dugogodišnji ventrikularni pejsing mogu dovesti do disinhronijom ili pejsingom izazvane kardiomiopatije. Pejsingom izazvana kardiomiopatija neće se razviti kod svakog pacijenta (prediktori nisu dovoljno definisani) ali, ukoliko se razvije, može imati jednako tešku kliničku sliku kao i bilo koja druga kardiomiopatija. Kada je prepoznat štetan uticaj običnog ventrikularnog pejsinga na sistolnu funkciju leve komore kod nekih bolesnika, a poštujući osnovno načelo u medicini “primum non nocere”, istraživanja su usmerena na razvoj tehnika pejsinga koje neće dovesti do pejsingom indukovane asinhronije. Dotičemo se prethodno pomenutog modernog trenda u pejsmejker terapiji: pejsing provodnog sistema srca. Logično je i potpuno jasno da ukoliko pejsing elektrodom stimulišemo direktno Hisov snop ili njegovu levu granu, ne pravimo asinhroniju niti indukujemo kardiomiopatiju. Međutim, kao i sve nove terapije u modernoj medicini, pre

široke upotrebe i uvođenja u oficijelne preporuke, neophodno je da pejsing provodnog sistema srca bude proveren u randomizovanim kliničkim studijama od kojih su mnoge u toku.

Komplikacije pejsmejker terapije

Komplikacije CIED terapije nisu retke i javljaju se kod oko 10% pacijenata u roku od šest meseci od implantacije. Većina komplikacija je povezana sa prisustvom transvenskih elektroda i potkožnih džepova za pulsne generatore. Većina ovih komplikacija su minorne i ne zahtevaju reintervenciju niti vitalno ugrožavaju pacijenta. Značajnije komplikacije su retke (<1%) a smrtni ishod u vezi sa implantacijom je vrlo redak (< 0,1%). Perforacija srca, koja se smatra težom komplikacijom, obično se manifestuje bolom u grudima, prezentuje unutar prvih 24h od implantacije, a zahteva posebnu pažnju zbog mogućnosti tamponade srca. Obično se rešava repozicijom elektrode. Međutim, “Ahilova peta” konvencionalne CIED terapije su elektrode. Komplikacije u vezi sa elektrodama nisu retke. En general, javljaju se u 2 do 5% pacijenata. Akutne i rane obično su u vidu displasmana elektroda, a kasne i hronične i u vezi sa oštećenjem elektroda. Zbog otežanog vađenja elektroda koje su dugo u venskom sistemu te su urasle u zidove krvnih sudova i miokard, kasne i hronične komplikacije u vezi sa elektrodama, znatno su veći izazov. Elektrode, u toku više godina (pa i decenija) rada trpe konstantni mehanički stres usled desetine hiljada savijanja i ugibanja zbog pokreta ramenog pojasa, tela i kontrakcija srca. Kuriozitet je da je proizvodnja elektroda i dalje velikim delom manuelni proces i traje znatno duže nego proizvodnja pulsnih generatora koja je automatizovana skoro u potpunosti. Uvođenjem “leadless” tehonologije (pejsmejkeri bez elektroda koji se implantiraju direktno u srce) napravljen je iskorak ka eliminaciji problema u vezi sa bradikardnim elektrodama. Iz sličnih razloga, umesto klasičnih transvenskih defibrilartorskih elektroda uvedeni su netransvenski sistemi: supkutani i ekstravaskularni defibrilatori. Prvi, sa elektrodom u poktožnom tkivu

grudnog koša a drugi, sa elektrodom ispod sternuma. Ovi sistemi nisu pogodni za sve pacijente što ne smanjuje njihovu važnost, posebno u budućnosti.

Poslednje, ali verovatno najvažnije, u vezi sa komplikacijama CIED terapije su infekcije. Najvažnije zbog toga što je u široj zdravstvenoj zajednici i dalje nedovoljno poznata činjenica da svaka infekcija pulsnog generatora pejsmejkera ili elektrode zahteva njihovu ekstrakciju. Ne postoji dovoljno jak antibiotik (bez obzira na to koliko dugo je primenjivan) koji će eliminisati bakterijsku infekciju sa stranog tela kakvo je CIED. Ekstrakcija je jedina prava terapija.

Budući pravac razvoja pejsmejker terapije

Evolucija srčanog pejsinga je napredovala kroz nekoliko era koje uključuju razvoj prvih implantabilnih trajnih pejsmejkera, „dvokomorskog“ pejsinga, naprednih softverskih opcija, ICD-a, CRT-a, daljinskog nadzora, pejsinga bez elektroda i konačno fiziološkog pejsinga – pejsinga provodnog sistema srca. Fiziološki pejsing je brzo evoluirao kroz različite anatomske ciljeve: Hisov snop pa potom levu granu snopa. Razvoj fiziološkog pejsinga jedan je od najznačajnijih napredaka u pejsingu u poslednjih nekoliko decenija. Iako je postignut ogroman napredak u ovom polju, oblast fiziološkog pejsinga ostaje u povoju i nedovoljno definisana sve dok se ne objave rezultati velikih randomizovanih studija (na šta ćemo čekati bar još nekoliko godina).

Iako je dugovečnost baterija pejsmejkera poboljšana, inovaciju tehnologije baterija pejsmejkera karakterišu relativno mali, postepeni koraci. Punjivi pejsmejkeri bi izbegli mnoge izazove povezane sa zamenom generatora kada se konvencionalna baterija isprazni. Pre kliničke primene, baterije prolaze rigorozne kontrole pouzdanosti i trajnosti (za ovo poslednje potrebne su godine testiranja) te je jasno zašto se baterije koje se trenutno koriste zasnivaju na tehonologiji koja je stara 10 i više godina.

Pandemija COVID-a 19 istakla je važnost daljinske kontrole pejsmejkera. Tehnologije za daljinsko programiranje se razvijaju i imaju potencijal da dramatično promene potrebu za većinom ambulatnih kontrola pejsmejkera. Do tada, u vezi sa daljinskom kontrolom pejsmejkera, ostaje izazov i problem obrade velike količine podataka koja se svakodnevno dobija od bolesnika sa CIED.

Na kraju, potpuna je nepoznanica koliko će veštačka inteligencija (AI) pomoći u CIED terapiji, a s pravom očekujemo da pomogne u ranom identifikovanju bolesnika koji su budući kandidati za terapiju CIED, u personalizovanom programiranju uređaja i predikciji komplikacija.

хране на сунцокретовом уљу, је повећан унос масноћа животињског порекла, мали унос воћа и поврћа, пушење, претеран унос алкохола (пре свега жестоких пића), смањена физичка активност, као и повећан стрес и напетост.

Пост није и не треба да буде

изгладњивање, већ искључење животињских масноћа и беланчевина из јаја, месних и млечних произ-

вода уз короишћење обиља воћа, поврћа, житарица, речне и морске рибе, као и свих врста уља од

којих посебно истичем маслиново.

Пост потпуно одговара медитеранској исхрани и њиме можемо да

спречимо и лечимо бројне хроничне болести као и са медитеранском исхраном. Најновија научна истраживања у свету су показала

недељно искључи-

беланчевине и масноће животињског порекла имамо повољне ефекте на превенцију бројних болести. Важно је јачање наше воље

и постизања свих корисних ефеката оваквог начина исхране у јачању имунитета, превенцији и лечењу гојазности, метаболичког синдрома, шећерне болести, инфаркта, шлога, масне јетре, депресије, неплодности i рака.

Пасуљ и друге махунарке имају

бројне витамине и минерале: цинк, селен, манган, гвожђе, којих има

у воћу, другом поврћу и житарицама, који су важни за нормалну функцију антиоксидантних ензима којим штите организам од слободних радикала.

дијабетесу

Универзитета

су салата. Маслиново уље и лимун, који је моћни антиоксиданс и антисептик, јачају имунитет а могу се комбиновати и са јабуковим сирћетом које настаје ферментацијом јабука и повећава имунитет. Бели лук који има антибактеријска, антигљивична и антивирусна својства заједно са маслиновим уљем, јабуковим сирћетом и першуном може се користити као прелив за рибу и различите салате. Зимница као што су кисели краставчићи, кисео купус, туршија

и шећера, регулацију крвног притиска, спречавање атеросклеротских

компликација, али имају још једну значајну улогу. Дијетна влакна су пребиотици, „пребиотска башта“ која омогућава да на њој расту

корисне пробиотске бактерије тако

да конзумирање влакнасте хране помаже јачању имунитета. Особе

које болују од хроничних болести, труднице и породиље могу да узму

разрешење од духовника и у току

поста да чешће једу рибу. У посту можемо правити сва

наша традиционална кувана јела:

пасуљ, грашак, сочиво, боранију,

кисео купус, динстана јела са до-

датком маслиновог уља на крају,

печена у рерни или коришћење

електричног роштиља. На пари мо-

жемо припремити броколи, карфи-

ол, кељ, прокељ, келерабу, спанаћ, блитву, затим прелити маринадом од маслиновог уља, белог лука, лимуновог сока, першуна, мирођије.

Предлажем потаже од поврћа: карфиола, броколија, црног и белог лука, тиквица и шаргарепе, бундеве. Поред хумуса, у посту се

може користити намаз од печеног

плавог патлиџана са маслиновим уљем и белим луком. Такође, може се спремати јело печено у рерни: рибе сарделе или папалине, са мало уља и воде се ставе у плех, дода се мало белог вина и неког зачина

и за 15 мунита имате здрав оброк, богат омега 3- киселинама, Д витамином, калцијумом који препоручујем. Уље од коштица грожђа препоручујем за пржење. Уместо кафе, предлажем какао који је богат

у време респираторних инфекција и

грипа. Мед је богат витаминима А, Б, Ц, магнезијумом, гвожђем, калцијумом, цинком, има антивирусно и антисептичко дејство и стимулише имуни систем. Напетост, несаница, акутни и хронични стрес доводе до повећаног лучења хормона стреса, што може неповољно да утиче на наш имуни систем

Пост укључује и чињење добрих дела па се треба сетити комшија, пријатеља, рођака, обрадова-

Doc. dr sc. Mihailo Stjepanović specijalista interne medicine – supspecijalista pulmolog

Doktor Mihailo Stjepanović, pulmolog, doktor nauka, zaposlen je u Klinici za pulmologiju, Kliničkog centra Srbije u Beogradu od 2009. godine. Diplomirao je na Medicinskom fakultetu u Beogradu 2008. godine. Specijalističke akademske studije, interna medicina, uža naučna oblast pulmologija, na Medicinskom fakultetu u Beogradu upisao je 2009. a zavšni akademski rad odbranio je 2013. godine.

Iste godine upisuje doktorske studije na Medicinskom fakultetu u Beogradu, interna medicina, uža naučna oblast pulmologija. Doktorsku tezu odbranio je na Medicinskom fakultetu u Beogradu 2020. godine.

Specijalizaciju iz interne medicine na Medicinskom fakultetu u Beogradu započeo je aprila 2012. a specijalistički ispit položio je 2017. godine.

Specijalizaciju iz pulmologije upisuje 2017. godine. Usmeni supspecijalistički ispit položio je 2019. a završni rad brani 2020. godine.

Od 2018. godine je šef Kabineta za naučnoistraživački rad i edukaciju. Od 2020. godine doktor Stjepanović postaje načelnik polikliničke službe Klinike za pulmologiju i načelnik Odeljenja za funkcionalnu dijagnostiku pluća. U januaru 2021. je izabran za zamenika direktora Klinike za pulmologiju, a 1.10.2021. izabran je za direktora Klinike za pulmologiju, Univerzitetskog kliničkog centra Srbije. Autor je u 190 naučnih, stručnih radova i poglavlja u knjizi. Od toga, 35 radova je štampano u međunarodnim naučnim radovima sa IF. Održao veći broj predavanja kako međunarodnih, tako i domaćih u okviru kontinuirane medicinske edukacije. Član je Lekarske komore Srbije, Srpskog lekarskog udruženja, Evropskog respiratornog društva (ERS-silver membership), Respiratornog udruženja Srbije i Udruženja za sarkoidozu Srbije.

Od novembra je počeo skrining na rano otkrivanje karcinoma pluća u Beogradu

Rano otkrivanje karcinoma pluća

Karcinom pluća je podmukla bolest, jer u trenutku kada se osete prvi simptomi većina bolesnika je već u metastatskom stadijumu bolesti. Simptomi u početku mogu da budu vrlo nespecifični – kašalj koji duže traje i ne prolazi na primenu antibiotika, prolongirano febrilno stanje, malaksalost, gubitak apetita, bolovi u grudima.

ma pluća. Jedan od najvažnijih preduslova uspešnog lečenja je rano otkrivanje karcinoma pluća, što nije slučaj, jer se kod više od 70 odsto pacijenata otkrije u poslednjem stadijumu.

Skrining se radi u Klinici za pulmologiju, Univerzitetskog kliničkog centra Srbije, svakim radnim danom popodne posle 14 h, uključene su sve beograd-

Dodatni problem predstavlja činjenica da većinu bolesnika koji obole od karcinoma pluća predstavljaju pušači koji su već navikli na kašalj i iskašljavanje i to ih zavara. Ne primete kada kašalj postane uporniji, izraženiji i promeni intenzitet. Upravo u tom periodu često se izgubi dragoceno vreme, bolest uznapreduje, terapijske mogućnosti se smanje, a prognoza bolesti postane značajno lošija.

Počeo je program za rano otkrivanje karcinoma pluća, najpre u Beogradu, a kasnije će biti prošreno i na ostatak Srbije. Na taj način država će probati da promeni poraznu statistiku od ovog najčešćeg i najsmrtonosnijeg karcinoma, od kojeg godišnje oboli gotovo 7.000 a, nažalost, umre više od 5.000 osoba.

Suočavamo se sa teškim malignim oboljenjam, najčešćim kod osoba muškog pola, a na drugom mestu kod osoba ženskog pola. Na svaka dva sata u Srbiji jedna osoba premine od karcino-

ske opštine. Kriterijumi su sve osobe starije od 50 godina i koje imaju pušački staž duži od 30 godina. CT pregled za skrining karcinoma pluća se radi po niskodoznom protokolu. Procenjena doza zračenja koju primi pacijent tokom ovog pregleda je za oko pet do šest puta manja u poređenju sa prosečnom dozom zračenja koja se dobije tokom jednog standardnog dijagnostičkog CT pregleda grudnog koša. Rano otkrivanje karcinoma pluća uvećava šansu za izlečenje ovih pacijenata. Rezultati nacionalnih trajala ?????? sa velikim brojem ispitivanih pacijenata su pokazali da je kod osoba koje su bile podvrgnute godišnjem skrining pregledu sa niskodoznom kompjuterizovanom tomografijm smanjena smrtnosti od karcinoma pluća do 20% tokom perioda praćenja od 10 godina u poređenju sa osobama kod kojih je skrining rađen godišnjom radiografijom grudnog koša.

Možemo samo, sa ogromnim zadovoljstvom, da kažemo hvala svima. Veliko hvala svima koji su svoje vreme stavili na raspolaganje rešavanju raznih problema, odgovaranju na sva pitanja, parovima i pojedincima hvala jer su se posvetili toga dana ovoj temi iako znamo koliko je to teško. Mnogi ne žele svoje slobodno vreme da koriste ovako ali, eto, roditeljska želja je veća od svega. Čestitamo svima vama!

U Beogradu je održan Šesti međunarodni festival vantelesne oplodnje, 14. oktobra, pod sloganom “Zajedno do cilja”. Upravo ovaj događaj bio je i najposećeniji od svih festivala koji su do sada organizovani. Brojnost posetilaca ukazla je upravo to da smo na pravom putu kao društvo i da je informisanost i edukacija, dostupnost lekara i razmena mišljenja ono što je neophodno kao podrška na putu ka potomstvu.

Festival je otvorio državni sekretar u Ministarstvu zdravlja doktor Mirsad Đerlek, koji je istakao da je podrška onima koji žele da se ostvare kao roditelji, posebno ženama, od ključnog značaja.

Diskusije su bile veoma posećene, a teme koje su bile obrađene su različite. Teme diskuskija su bile: Da li možemo protiv biologije? Da li je vreme ključni faktor? Intervencije i procedure koje doprinose uspehu (PRP, IUI, VTO, donacija, surogat). Donacija je možda i moja šansa. Vantelesna oplodnja metode, izazovi i etika.

Ove godine prvi put, paralelno sa diskusijama, održano je i nekoliko radionica za koje se tražilo mesto više –psihološka radionica, radionica o akupunkturi, preimplantacionoj dijagnostici embroiona, a održan je i pravi-pravcati trening aviva vežbi koje pospešuju plodnost. Graja i neprestana gužva među štandovima pokazale su da je, osim interesovanja, s godinama porasla i osnaženost ljudi da se informišu, pitaju sve što ih interesuje i potraže različita mišljenja ne bi li im to pomoglo u donošenju odluka o daljem toku lečenja.

Diskusije su snimane i svi snimci su dostupni na Youtube kanalu pod nazivom Udruženja šansa za roditeljstvo. I to je ono što raduje i što je i cilj organizovanja ovakvih događaja. Toga dana su prisutne bile mnoge klinike koje se bave vantelesnom oplodnjom iz Srbije, Češke, Grčke, Slovačke, sa mnoštvom lekara, laboratorije, farmaceutske kuće, agencije koje se bave medicinskim uslugama, čak i osiguravajuća kuća. Svoje mesto je imalo i

VI

festival vantelesne oplodnje

„Zajedno do cilja”

udruženje iz Loznice koje pomaže ljudima na lokalu.

Zid nade i ove godine privukao je veliku pažnju i satkan je od najsirovijih emocija, onih koje krijete od drugih ljudi, strahova kojih se i sami pribojavate, volje koja mnogima nedostaje, ali i poruka ohrabrenja onih koji su uspeli – kako bi pospešili sve one čija je snaga u padu.

Na Festivalu je proslavljen i mali jubilej – 20. izdanje magazina „Šansa za roditeljstvo“, koji već godinama informiše i edukuje ljude koji imaju pro-

blem sa sterilitetom i pomaže da i oni koji nemaju problem razumeju šta je sve to prepreka na putu do roditeljstva. Ulaz je, kao i uvek do sada, bio besplatan i događaj je ugostio i prijatelje organizacije, podržavaoce ove teme i sve one koji se interesuju za povećanje nataliteta i koji su željni da čuju nešto novo, ostvare nove saradnje i nove komunikacije, kao i da daju svoju podršku kroz lično stručno znanje.

Naredni festival je zakazan za 11. oktobar 2025. godine.

Melisa Selimović predsednica Udruženja, R. Karalić i Dragana Krstić

sad/ogranku-sanu-od-danas-do1-novembra-izlozba-medici-proarte-2024-10-24

„Време пролази а ми трајемо”

изложбе добио би

овакав одговор: „Свакако да треба посебно истаћи да је изложба МЕДИЦИНАРИ ЗА УМЕТНОСТ у Нoвом

Саду – „Платонеуму”, у нашем поднебљу, јединствена и у континуитету најдуготрајнија изложба уметничких дела здравствених прегалаца а, судећи према успешним и великим посетама на сваком отварању уназад протекле 33 године трајања, врло вероватно и најбоље организована изложба уметника-аматера сликара, фотографа и вајара. Запажен је и број поклоњених радова досадашњих чланова Секције за хуманост, уметност и културу

ДЛВ СЛД заслужним институцијама широм наше лепе Србије, као и досадашњи број одржаних изложби и трибина

заказано и њено отварање. Верујем да би владики било мило кад би могао да погледа плакат за најаву који се „бори” на скрајнутом али, ипак, видљивом паноу. Скулптура у средишту је симбол страдања, али и одржања. Име изложбе „Medici pro arte“, медицинари за уметност, лепо је на-

и отворена празна страница књиге утисака. Слике које сам доне-

ла из Београда чекала су празна

места на зидовима галерије. Некако ми је најлепше кад могу у

миру и тишини да разгледам целу галерију и приђем сваком уметничком делу. Замислим и ауторе које редом познајем, а они су

баш најразличитијих специјалности. Под сводове „Платонеума” окупља се кроз ове године трајања „Medici pro arte“ целокупно лекарство.

Акад. мед. Владимир Јокановић, председник Секције за хуманост, уметност и културу ДЛВ СЛД, домаћински је на улазу сачекивао госте и редом се руковао. Представник Огранка САНУ у улози домаћина и председник Секције чинили су ево већ 33 године нераздвојну целину. Као и

дивне песме. Учешће су пријавила 22 уметника. Први утисак код

од свих најбоља! Видећемо шта пише у књизи

Секција за уметност и

Друштва лекара Војводине СЛД. Нас троје

замолили смо академика Берића, председника Огранка САНУ у

Новом Саду, да нам уступи галерију за ликовну изложбу коју смо

именовали MEDICI PRO ARTE.

Дозволу смо добили и ево већ 33

године користимо гостопримство ове угледне галерије.

Мењало се руководство

Огранка САНУ, али сви су по-

казивали беневолентност према

нашим изложбама. По правилу, излажемо у последњој декади

октобра. Кроз дуго време наше секције имали смо своје многе колегинице и колеге који више нису међу нама. Отпутовали су на пут вечности без повратка. Нема више слика Улића, Јовина, Стојановића,

Istočnjačke kulture nazivaju predio stomaka morem života, a poznata nam je i izreka: - Dobra probava, dobro raspoloženje..., pa nam sve to govori o važnosti probave za celokupni metabolizam.

Najnovija naučna istraživanja su dokazala veliku korelaciju između crevne flore i autizma, kao i brojnih autoimunih oboljenja. Najčešći pokazatelji poremećenog balansa u crevnoj flori, poznatijeg pod nazivom disbioza, jesu pojava kandide i klostridije, koje prate gotovo svaku prekomernu upotrebu antibiotika. Antimikotici, kod kandide, obično daju samo privremeno olakšanje, a nisu puno efikasniji ni antibiotici kod lečenja klostridije. Zašto?

Uništavanje gljivica i bakterija nekim sredstvom izvanih, je uglavnom osuđeno na neuspeh, jer telo i dalje ostaje nesoposbno da se samo brani i infekcija se ponovo, s lakoćom, vraća pošto telesni samoodbrambeni mehanizmi i dalje ostaju slabi zbog odsustva korisnih bakterija, koje imaju dvostuku ulogu: vojnika, koji kontrolišu kandidu, klostridiju i druge oportunističke mikroorganizme, ali i radnika, koji učestvuju u procesuiranju hrane. Baš iz tog razloga, kada su te bakterije uništene, kandida i klostridija se razmnožavaju nekontrolisano, jer nemaju nikakvog protivnika, a ujedno se javljaju simptomi, kao što su, na primer: nadutost, gasovi, neuredna stolica... jer nema radnika koji treba da prerade hranu, tako da, s jedne strane,

Crevna flora i njen uticaj na opšte zdravlje

mnoge namirnice dođu kao teret telu a, s druge strane, telo ne može da iscrpi hranjive sastojke i kao posledica se javlja neuhranjenost, tako da se nama javljaju neke osobe koje su bile oslabile i po 20 kg.

Što se tiče klostridije, svima nam je poznato da ona nosi nadimak bakterija ubica i, nažalost, poznati su nam slučajevi da ona u nekim bolnicama za kratko vreme odnese i po više zivota.

Oni koji su imali to iskustvo da moraju da se bore sa kandidom, znaju da ona može izazivati svrab kože, očiju, ušiju, crvenilo, perut, rozaceu, kao i da nekada nokti budu potpuno crni.

Čaj od sene

Mi, za razliku od konvencionalnih metoda lečenja, imamo potpuno drugačiji pristup i našim biljnim mešavinama uopšte ne idemo putem direktnog uništavanja bilo kandide, bilo klostridije, nego idemo putem regenerisanja crevne flore do te mere da telo bude u stanju da ih samo eliminiše, ali i da bude u stanju da ih i ubuduće kontroliše, da više ne bi mogle da se vrate. Samim tim, ne samo da za kratko vreme potpuno nestaju kandida i klostridija, nego se i potpuno normalizuje probava: nestaje nadutost, gasovi, prolivasta stolica..., a i vraćaju se izgubljeni kilogrami.

Interesantno je pomenuti da smo tokom našeg dugogodišnjeg iskustva u

lečenju kandide primetili da se balansiranjem crevne flore dramatično ubrzava psihofizički razvoj kod autistične dece, da se generalno popravlja raspoloženje i podiže snaga, da se često izgubi perut i crvenilo sa kože, kao i veoma izražene psorijastične promene na koži. Kod nekih pacijenata se i na naše iznenađenje normalizovao do tada povišeni krvni pritisak, a u brojnim slučajevima se normalizuje i nivo šećera. Imali smo slučajeve da se nivo šećera kod dece na insulinu, samo od jednog pakovanja čaja, za duplo smanjuje doza potrebnog insulina, a da se na pumpici primeti da telo povlači insulin sve manje i da su periodi povlačenja sve ređi.

Za razliku od uobičajenih biljnih terapija koje preporučuju prejaku terapiju sastavljenu od oraha, pelina i karanfilića, ili prejakih koncentrata, kao što je ulje origana, naša čajna mešavina je toliko blaga da je mogu koristiti i 2 – 3 godine stara deca, jer gotovo pola sastava čine začinske biljke, koje možemo svakodnevno koristiti u ishrani. Kao i kod ešerihije koli i helikobaktera pilori, u našoj praksi se pokazalo da je za eliminisanje i kandide i klostridije obično potrebno samo jedno pakovanje čaja, koje nema bilo kakave štetne posledice, a daje rezultat koji traje.

www.ozdravite.com, gp@ozdravite.com

Telefoni: Srbija +381 65 43 819 43, BiH +387 66 355 310

Goran Poletan, fitoterapeut
Čaj od korijena maslačka
Čaj od limunske trave
Čaj za crijeva i želudac

Standard pažnje u obavljanju profesionalne dužnosti lekara

Kodeks medicinske etike Lekarske komore Srbije predvideo je osnovna načela u obavljanju profesionalne dužnosti lekara i to: načelo savesnosti, načelo jednakosti, načelo poštovanja autonomije i prava pacijenata, kao i načelo staranja o ugledu i dostojanstvu profesije Kako je u ovom kodeksu i navedeno, njegov cilj je da čuva slobodu i ugled lekarskog poziva, podiže kvalitet lekarskih usluga i ojača poverenje između lekara i pacijenta, uz poštovanje koncepta autonomije i prava pacijenata.

Odredbe Kodeksa su obavezujuće za sve lekare koji su članovi Lekarske komore Srbije, a svaka povreda Kodeksa predstavlja povredu profesionalne dužnosti ili ugleda člana Komore, zbog koje lekar podleže utvrđivanju disciplinske odgovornosti. Međutim, povreda etičkih normi i načela i nesavesno postupanje lekara ne povlači samo disciplinsku odgovornost lekara, već može povući i krivičnu i prekršajnu odgovornost.

Načelo savesnosti obavezuje lekara da svoju profesionalnu aktivnost obavlja savesno, po pravilima medicinske struke i sa potrebnom pažnjom, u skladu sa načelima medicinske etike i načelima čovečnosti. Imajući u vidu da Kodeksom nije detaljnije objašnjeno šta podrazumeva postupanje lekara “sa potrebnom pažnjom”, sudska praksa definiše pomenuti standard pažnje. Iz tumačenja standarda pažnje, koji je sadržan u presudi Apelacionog suda u Beogradu Kž1 460/17 od 19. decembra 2017. godine, moglo bi se reći da su načelom savesnosti obuhvaćena i preostala tri načela, predviđena Kodeksom medicinske etike, kao i da poštovanje načela savesnosti znatno doprinosi ispunjenju cilja Kodeksa. U skladu sa pomenutom sudskom odlukom, standard pažnje znači da lekar treba da odvoji potrebno vreme da se posveti pacijentu, da razgovara sa njim, pregleda ga, analizira laboratorijske i ostale analize i na osnovu toga donese određeni zaključak. Dakle, etika zdravstvenih radnika i zdravstvenih saradnika mora da bude na najvišem nivou, kako bi standard pažnje bio u potpunosti ispoštovan.

Primer iz sudske prakse:

KRIVIČNO PRAVO – MEDICINSKO PRAVO - Teško delo protiv zdravlja ljudi iz člana 135. stav 4. KZS (odnosno član 259. KZ), u vezi sa članom 126. stav 3. KZS (odnosno članom 251. KZ) – Nesavesno postupanje pri pružanju lekarske pomoći (i time prouzrokovanje pogoršanja zdravstvenog stanja, usled čega je nastupila smrt kod oštećene) – Standard pažnje – Potvrda prvostepene presude

Standard pažnje znači da lekar treba da odvoji potrebno vreme da se posveti pacijentu, da razgovara sa njim, pregleda ga, analizira laboratorijske i ostale analize i na osnovu toga donese određeni zaključak te ukoliko nešto od ovoga izostane - onda tome nije posvećena dovoljna pažnja i tada kažemo da je standard pažnje nizak te da etika zdravstvenog osoblja mora da bude na najvišem nivou i da je to nepisano pravilo.

PRVOSTEPENA ODLUKA

Presudom Prvog osnovnog suda u Beogradu K. br. 661/14 od 23. janaura 2017. godine zbog izvršenja krivičnog dela teško delo protiv zdravlja ljudi iz člana 135. stav 4. u vezi sa članom 126. stav 3. KZ, okr. G.M. i V.M. su osuđene na kazne zatvora u trajanju od po dve godine, te im je izrečena mera bezbednosti zabrane vršenja poziva, delatnosti ili dužnosti u trajanju od po dve godine.

Oštećeni su radi ostvarivanja svojih imovinsko-pravnih zahteva upućeni na parnični postupak.

Okrivljene G.M. i V.M. su oglašene krivim što su u periodu od 18. do 20. februara, u Institutu za ginekologiju i akušerstvo u Beogradu, kao lekari specijalisti ginekologije i akušerstva, uopšte nesavesno postupale pri pružanju lekarske pomoći sada pok. Lj.A. i time prouzrokovale pogoršanje njenog zdravstvenog stanja, usled čega je 21. februara 2002. godine kod nje nastupila smrt.

Takođe, prvostepenom presudom okr. A.J., S.M. i M.R. su oslobođeni od optužbe da su izvršili krivično delo, teško delo protiv zdravlja ljudi iz člana 135, stav 4. u vezi sa članom 126, stav 3. KZ.

PODNOSIOCI ŽALBE

Branioci okr. G.M. i V.M. te punomoćnik oštećenih kao tužilaca.

DRUGOSTEPENA ODLUKA

Apelacioni sud u Beogradu, nakon održane sednice veća, doneo je 19. decembra 2017.

godine presudu Kž1 460/17 kojom je odbio, kao neosnovane, sve žalbe i potvrdio prvostepenu presudu

U obrazloženju presude Apelacionog suda se, između ostalog, navodi da je pravilno prvostepeni sud, prihvatajući iskaz sudskog veštaka, utvrdio da standard pažnje znači da lekar treba da odvoji potrebno vreme da se posveti pacijentu, da razgovara sa njim, pregleda ga, analizira laboratorijske i ostale analize i na osnovu toga donese određeni zaključak te ukoliko nešto od ovoga izostane - onda tome nije posvećena dovoljna pažnja i tada kažemo da je standard pažnje nizak te da etika zdravstvenog osoblja mora da bude na najvišem nivou i da je to nepisano pravilo.

Dakle, pravilan je zaključak prvostepenog suda da je okr. G.M. kritičnom prilikom uopšte nesavesno postupala pri pružanju lekarske pomoći Lj.A.

Takođe, u odnosu na okr. V.M., Apelacioni sud nalazi, a kako je to pravilno utvrdio i prvostepeni sud, da, imajući u vidu celokupno lečenje Lj.A. na klinici Instituta za ginekologiju i akušerstvo, nije postupljeno sa potrebnim standardom pažnje te da je okr. V.M. uopšte nesavesno postupala pri pružanju lekarske pomoći Lj.A. U odnosu na okr. A.J., S.M. i M.R. - Apelacioni sud je našao da je pravilno prvostepeni sud utvrdio da nije dokazano da su ovi okrivljeni postupali na način kako im se to optužnim aktom punomoćnika oštećenih, kao tužilaca, stavlja na teret i samim tim izvršili krivično delo, teško delo protiv zdravlja ljudi, zbog čega ih je pravilno oslobodio od optužbe.

(Presuda Apelacionog suda u Beogradu Kž1 460/17 od 19. decembra 2017, kojom je potvrđena presuda Prvog osnovnog suda u Beogradu K. br. 661/14 od 23. januara 2017. godine) – sa sajta Apelacionog suda u Beogradu, 19. januara 2018. godine.

Kristina Đorđević, advokat, Beograd
GODINA XII BROJ 120. DECEMBAR 2024.

Introduction

Glioblastoma (GBM) is the most aggressive primary brain tumor originating from glial cells [1]. GBM accounts for about 75% of all malignant brain tumors. The tumor is characterized by the infiltrative growth and poor prognosis. Standard GBM therapy with surgical resection, radiotherapy and temozolomide treatment achieves an average survival of 15 months, while a 5–year survival reaches less than 5% [2]. Given limited effectiveness of the standard therapy, alternative treatment strategies are required and major expectations are connected with the immunotherapy [3, 4]. Clinical studies used a wide range of immunologic agents, such as interleukin-2 (IL-2) and other similar products, as well as novel checkpoint inhibitors and adoptive immunotherapies with activated and genetically modified lymphocytes [5].

IL-2 in the GBM treatment

In the 1990s, several clinical trials were initiated to evaluate the effectiveness of high-dose IL-2 antitumor immunotherapy. IL-2 is a pleiotropic cytokine that has a stimulating effect on the effectors of innate and adaptive immunity [6, 7]. IL-2 stimulates lymphocyte proliferation, induces expansion of cytotoxic T lymphocytes (CTL), and activates natural killer cells (NK) [8]. This cytokine plays an important role in the homeostasis of memory T cells by regulating their numbers and stimulates the generation of antigen-specific T cells, contributing to the survival of CD8+ memory T cells [9]. IL2 enhances the therapeutic effects of other antitumor agents, including checkpoint inhibitors, and promotes the generation of tumor-specific immune clones [10, 11]. Taking into account these functions, IL-2 is considered a key cytokine in the regulation of antitumor immunity. High doses of IL-2 were recommended for the treatment of advanced renal cell carcinoma and melanoma. Following FDA approval, IL-2 systemic therapy was introduced in clinical settings; however, it failed to achieve the expected antitumor effects due to its short half-life and poor accumulation in the tumor [12]. Moreover, frequent systemic administration of high doses of IL2 could lead to fatal adverse events [13].

Another approach of local IL-2 injections into the bed of the removed tumor or directly into the lesion was also practiced and showed good tolerance, but it was proved ineffective for the GBM treatment [14]. However, a case of tumor necrosis

Interleukin-2 in the Therapy of Glioblastoma: Results and Prospects

Abstract: Although recent advances in clinical oncology have shown fascinating achievements, the effectiveness of treatment regimens for glioblastoma (GBM) remains insufficient and the median overall survival is less than 1 year. Given limited effectiveness of the standard therapy, alternative treatment strategies are required and major expectations are connected with the immunotherapy. Over the last decade, several IL-2-based therapies have gained an increased interest. Newly developed clinical strategies for GBM treatment include IL-2-based approaches in combination with other immunotropic agents, such as a combination of immune checkpoint inhibitors (ICI) and oncolytic viruses. IL-2 is still regarded as a necessary component for the generation of activated killer cells used in the GBM therapy. A promising approach to the GBM treatment is based on CAR-T cells engineering that involves IL-2 activated cell expansion. As evidenced by the encouraging results of just a few clinical studies, this strategy can significantly improve the results of GBM treatment. Key words: Interleukin -2, Glioblastoma, Adoptive immunotherapy

was described in a GBM patient after ineffective standard therapy who received 10 subcutaneous injections with genetically modified autologous tumor cells and fibroblasts secreting IL-2. The antitumor immune response was determined by the activation of IL-2 cytotoxic T-killers [15]. Combinations of cytokines interferon-α 2b (INF-α 2b) and IL-2 (in concentrations 10x106 IU and 9x106 IU, respectively) injected into a tumor in ten patients with GBM were also ineffective, neither was the local administration of IL-2 in a single mode [16].

At the same time, the potential use of IL-2 is still an important approach in cancer treatment; in particular, it is considered for the immunotherapy with IL-2 in combination with other immunologic agents, especially with checkpoint inhibitors (ICI). The use of such combination is based on the results of the experimental studies. It was shown that IL-2 pretreatment of lymphocytes led to an enhanced expression of CTLA-4 and PD1, and the combination of IL-2 (Roncoleukin®) and ICI significantly increased the cytotoxic function of lymphocytes against tumor cells [11]. Another experimental study on mice with orthotopically implanted GBM demonstrated that low-intensity focused ultrasound-guided delivery of IL-2 in combination with the

CXC 10 chemokine ligand (CXCL10) and PD-L1 into the brain increased the concentration of tumor infiltrating cytotoxic CD8+T cells in 3 times compared to the PD-L1 action alone. The therapeutic efficacy of ICI in combination with IL-2 significantly increased and led to the tumor regression, extended survival time and the formation of long-term immune memory in mice with GBM. According to the authors, this combination presented a promising strategy for immunotherapy of brain tumors [17]. Kartashev AV et al. [18] performed a course of IL-2 immunotherapy (Roncoleukin®) at the end of the chemo-radiotherapy cycle, administering a total of 10 million ME IL-2. A comparative analysis of the data of the patients in the control group who received standard treatment, as well as patients who did not undergo the full cycle of chemo-immunotherapy, and patients receiving accelerated chemo-radiotherapy showed that the accelerated cycle of chemo-immunoradiotherapy resulted in a longer survival as compared to the standard chemo-radiotherapy regimens.

An interesting potential approach to GBM therapy is the combination of IL-2 with oncolytic viruses. The experiments on mice with GBM xenographts investigated a combination of IL-2 and replication-

defective recombinant adenoviral vector encoding p53 (rAd-p53), which was considered a promising agent for p53-targeted gene therapy of GBM. The authors reported marked tumor regression and a significantly increased survival in GBM mice treated with IL-2 and rAd-p53 as compared with that of the control animal group and groups of animals treated with IL-2 or rAd-p53 in a single mode [2]. Another example of the potential use of IL-2 and oncolytic viruses is the recent research by Bommaredy et al. The authors evaluated the effectiveness of the administration of the oncolytic herpes simplex virus expressing IL-2 (G47Δ-mIL2) in the GBM mice. The results showed that the approach significantly increased median survival without any signs of systemic toxicity associated with IL-2. The therapeutic effect of G47Δ-mIL2 in the GBM model was associated with augmented intratumoral infiltration of CD8+T cells due to the local release of IL-2 in the tumor microenvironment [19].

IL-2 activated lymphocytes: LAK and CIK

To increase the effectiveness of antitumor immunotherapy, ex vivo activated IL-2 lymphocytes were used along with several cytokines, such as lymphokineactivated killer cells (LAK) or cytokineactivated killer cells (CIK) generated by culturing lymphocytes with IL-2 or a cytokine cocktail of IFN-γ, IL-2 and CD3 monoclonal antibodies (CD3mAb). These strategies demonstrated higher effectiveness compared to that of IL-2 alone used in various types of cancer [20, 21].

IL-2/LAK therapy showed a higher efficacy in GBM. After surgical operation, 40 patients with recurrent GBM multiforme received an injection of LAKs into the bed of the removed tumor; LAKs were generated in vitro by culturing peripheral blood mononuclear cells in the presence of IL-2 for 3-5 days. Patients received an average of 1.0-2.0 x 109 LAK cells. Some patients additionally received local injections of IL-2. The treatment proved satisfactory tolerance. The median survival of patients receiving IL-2/LAK therapy was 17.5 months compared with 13.6 months for the control group of patients with GBM [22].

Dillman et al. performed a clinical study of 33 patients with GBM with no signs of disease progression who received LAK injections into the tumor site after completion of the previous therapy cycles. Previous therapy included surgical

tumor resection (97%), partial brain irradiation (97%), gamma knife radiosurgery (97%) and temozolomide chemotherapy (70%). LAK cell treatment was well tolerated; median survival reached 20.5 months with a 1-year survival rate of 75%. Higher survival was observed in patients who received a larger number of CD3+/CD16+/ CD56+ LAK cells [23].

Another clinical study evaluated the effectiveness of a 5-day treatment with direct intratumoral injection of both LAK cells and IL-2 in patients with recurrent GBM. Ten patients were included in the study, nine of whom underwent 15 cycles of treatment with LAK cells (from 0.9 to 21.0x109 cells) and IL-2 (49-450x103 U/ kg). Of the nine patients treated, one had a partial tumor response to immunotherapy. Neurological side effects were observed in all patients undergoing treatment and were associated with increased brain edema, which was apparently determined by the immunotherapy [24].

Chernykh E.R. et al. carried out a series of clinical studies in patients with GBM, in particular, a research on adoptive immunotherapy with LAKs in combination with IL-2 (Roncoleukin®) that were injected in the bed of the removed tumor in order to destroy the remaining tumor cells. According to the presented results, this type of the immunotherapy demonstrated a fairly high effectiveness. The report showed that 24 months after the treatment, 5.1% of patients survived in the control group, and 55.5% of patients - in the main group, with 25% of patients who survived a 3-year follow-up period [25-27].

The research of Boiardi et al. studied nine patients with recurrent glioblastoma who received injections with autologous LAKs and IL-2 directly into the tumor through an Ommaya tube installed during surgery/biopsy. The immunotherapy was well tolerated, and the response rate reached 33% (one complete response, two partial responses, four patients had disease stabilization and two patients developed disease progression). Successive determinations of IL-2 (Proleukin) in the tumor cavity during the course of treatment showed that IL-2 concentrations were sufficient to maintain lymphocyte activation [28].

A randomized phase III clinical trial involving 180 patients with GBM evaluated the effectiveness of CIK immunotherapy. CIKs were generated from mononuclear blood cells of patients during cell culturing in the presence of IL-2 and monoclonal antibody against CD3 for 12-21

days [29]. The CIK cell product contained 1x109-2x1010 cells. CIKs were infused intravenously for 60 minutes. The immunotherapy cycle included 14 CIK injections, namely, 4 injections once a week, 4 - every 2 weeks and, finally, 6 injections every 4 weeks). The immunotherapy with autologous CIK cells in combination with standard chemo-radiotherapy with temozolomide (TMZ) was associated with an increase in the median progression-free survival (PFS) by 2.7 months. Patients receiving autologous CIK immunotherapy showed a higher disease control rate (DDR) than the control group (82.4% vs. 63.4%, P = 0.0058). In addition, CIK immunotherapy in combination with TMZ did not worsen the quality of life.

Later, these authors analyzed the results of treatment of 180 patients with GBM. The analysis established that the immunotherapy and TMZ treatment could increase overall survival (OS) and FPS in patients with GBM. Side effects of CIK immunotherapy included mainly toxicity of grade 1 or 2, such as fever, chills, fatigue, headache, and skin rash. Thus, the study demonstrated the efficacy and safety of adjuvant CIK immunotherapy in combination with traditional chemo-radiotherapy in patients with newly diagnosed pathologically pure GBM [30].

CAR-Т cell therapy

CAR-T cell therapy has demonstrated revolutionary results in the treatment of B-cell hemoblastosis and has shown basic effectiveness in the treatment of gliomas, although significant results have not been achieved, yet. The technology of CART cell manufacturing involves activation of lymphocytes and expansion of genetically modified cells. The cell culturing stages should use IL-2 for production of both LAKs and CIKs. Phase II/III clinical trials of GBM treatment with CAR-T cells targeting glioma-associated antigens, such as interleukin-13 receptor subunit alpha-2 (IL13-Rα2) [31], human epidermal growth factor receptor 2 (HER2) [32] and the epidermal growth factor receptor variant III (EGFRvIII) [33], showed the potential effectiveness and relative safety of the strategy.

Thus, recent studies have shown that locoregional administration of tandem CAR-T cells targeting concurrently two tumor antigens increases the effectiveness of the immunotherapy. However, additional randomized clinical trials of CAR-T cells are required to develop a promising strategy for GBM treatment [34].

Conclusion

Over the last years, IL-2-based therapies gained an especially high interest. This cytokine with antitumor activity is undergoing reincarnation after years of neglect. Novel strategies for the clinical use of IL2 imply abandoning the high-dose immunotherapy, associated with pronounced adverse events, but using the immunostimulating doses of IL-2 in combination with other immunotropic agents. In particular, clinical studies found effective combinations of IL-2 for GBM treatment, such as the combination of ICI and oncolytic viruses. IL-2 has its respective place in the rapidly developing adoptive cell-based immunotherapy. This cytokine is an essential component for the production of activated killer cells, LAKs and CIKs, and is used in combination with these cellular products.

Locoregional IL2/LAK (CIK) therapy has demonstrated reliable clinical efficacy. CAR-T cells generated and expanded in the presence of IL-2 provide a promising new strategy in the GBM treatment. The encouraging results of yet a few clinical studies gave evidence that the presented approach can significantly improve GMB therapy.

References

1. Lu M, Zhang X, Zhang M, Chen H, Dou W, Li S and Dai J: Non-model segmentation of brain glioma tissues with the combination of DWI and fMRI signals. Biomed Mater Eng. 2015;26 (Suppl 1):S1315-1324. doi: 10.3233/BME-151429.

2. Qiao HB, Li J, Lv LJ, Nie BJ, Lu P, Xue F, Zhang ZM. The effects of interleukin 2 and rAd-p53 as a treatment for glioblastoma. Mol Med Rep. 2018;17(3):4853-4859. doi: 10.3892/ mmr.2018.8408

3. Luksik AS, Yazigi E, Shah P, Jackson CM. CAR T Cell Therapy in Glioblastoma: Overcoming Challenges Related to Antigen Expression. Cancers (Basel). 2023;15(5):1414. doi: 10.3390/ cancers15051414

4. Jackson CM, Choi J, Lim M. Mechanisms of Immunotherapy Resistance: Lessons from Glioblastoma. Nat. Immunol. 2019;20:1100-1109. doi: 10.1038/s41590-019-0433-y

5. Bausart M, Préat V, Malfanti A. Immunotherapy for Glioblastoma: The Promise of Combination Strategies. J. Exp. Clin. Cancer Res. 2022;41:35. doi: 10.1186/s13046-022-02251-2

6. Koekkoek JA, Postma TJ, Heimans JJ, Reijneveld JC and Taphoorn MJ: Antiepileptic drug treatment in the end-of-life phase of glioma patients: A feasibility study. Support Care Cancer. 2016;24:1633-1638. oi: 10.1007/s00520015-2930-3

7. Bai FL, Yu YH, Tian H, Ren GP, Wang H, Zhou B, Han XH, Yu QZ and Li DS: Genetically engineered Newcastle disease virus expressing interleukin-2 and TNF-related apoptosis-inducing ligand for cancer therapy. Cancer Biol Ther. 2014;15:1226-1238. doi: 10.4161/cbt.29686

8. Shi L, Zhou Q, Wu J, Ji M, Li G, Jiang J and Wu C: Efficacy of adjuvant immunotherapy with cytokine-induced killer cells in patients with locally advanced gastric cancer. Cancer Immunol Immunother. 2012;61:2251-2259. doi: 10.1007/ s00262-012-1289-2

9. Chen Y, Guo ZQ, Shi CM, Zhou ZF, Ye YB

and Chen Q: Efficacy of adjuvant chemotherapy combined with immunotherapy with cytokineinduced killer cells for gastric cancer after d2 gastrectomy. Int J Clin Exp Med. 2015;8:77287736.

10. Lippitz BE: Cytokine patterns in patients with cancer: A systematic review. Lancet Oncol. 2013;14:e218-e228.

11. Kiselevsky MV, Sitdikova S.M., Petkevich A.A. IL-2 in combination with immune checkpoints inhibitors as a promising approach for cancer immunotherapy: a literature review. Oncology and Radiology of Kazakhstan. 2021;4 (62):43-47

12. Wang H, Borlongan M, Hemminki A, et al. Viral vectors expressing interleukin 2 for cancer Immunotherapy. Hum Gene Ther 2023;34:878–95. 10.1089/hum.2023.099

13. Pachella LA, Madsen LT, Dains JE. The toxicity and benefit of various dosing strategies for Interleukin-2 in metastatic melanoma and renal cell carcinoma. J Adv Pract Oncol 2015;6:212-221

14. Merchant RE, Grant AJ, Merchant LH, Young HF. Adoptive immunotherapy for recurrent glioblastoma multiforme using lymphokine activated killer cells and recombinant interleukin-2. Cancer. 1988;62(4):665-671. doi: 10.1002/1097-0142(19880815)62:4<665::aidcncr2820620403>3.0.co;2-o

15. Sobol RE, Fakhrai H, Shawler D, Gjerset R, Dorigo O, Carson C, Khaleghi T, Koziol J, Shiftan TA, Royston I. Interleukin-2 gene therapy in a patient with glioblastoma. Gene Ther. 1995;2(2):164-167

16. Vaquero J, Martínez R. Intratumoral immunotherapy with interferon-alpha and interleukin-2 in glioblastoma. Neuroreport. 1992;3(11):981983. doi: 10.1097/00001756-199211000-00008

17. Dong L, Zhu Y, Zhang H, Gao L, Zhang Z, Xu X, Ying L, Zhang L, Li Y, Yun Z, Zhu D, Han C, Xu T, Yang H, Ju S, Chen X, Zhang H, Xie J. Open-Source Throttling of CD8+ T Cells in Brain with Low-Intensity Focused UltrasoundGuided Sequential Delivery of CXCL10, IL-2, and aPD-L1 for Glioblastoma Immunotherapy. Adv Mater. 2024;12:e2407235. doi: 10.1002/ adma.202407235

18. Kartashev AV, Vinogradov VM, Olyushin VE, Gerasimov SV. Postoperative chemoradiation therapy of patients with brain glioblastomas. Voprosy onkologii, 2008; 54: 102–105

19. Bommareddy PK, Wakimoto H, Martuza RL, Kaufman HL, Rabkin SD, Saha D. Oncolytic herpes simplex virus expressing IL-2 controls glioblastoma growth and improves survival. J Immunother Cancer. 2024;12(4):e008880. doi: 10.1136/jitc-2024-008880

20. Wang M, Cao JX, Pan JH, Liu YS, Xu BL, Li D, Zhang XY, Li JL, Liu JL, Wang HB, Wang ZX. Адоптивная иммунотерапия цитокининдуцированных клеток-киллеров при лечении немелкоклеточного рака легких. PLoS One. 2014;9:e112662. doi: 10.1371/journal.pone.0112662

21. Shubina IZh, Bliumenberg AG, Volkov SM, Demidov LV, Kiselevskiĭ MV. Adoptive immunotherapy of malignancies. Vestn Ross Akad Med Nauk. 2007;(11):9-15

22. Dillman RO, Duma CM, Schiltz PM, DePriest C, Ellis RA, Okamoto K, Beutel LD, De Leon C, Chico S. Intracavitary placement of autologous lymphokine-activated killer (LAK) cells after resection of recurrent glioblastoma. J Immunother. 2004;27(5):398-404. doi: 10.1097/00002371200409000-00009

23. Dillman RO, Duma CM, Ellis RA, Cornforth AN, Schiltz PM, Sharp SL, DePriest MC. Intralesional lymphokine-activated killer cells as adjuvant therapy for primary glioblastoma. J Immunother. 2009;32(9):914-919. doi: 10.1097/ CJI.0b013e3181b2910f

24. Barba D, Saris SC, Holder C, Rosenberg SA, Oldfield EH. Intratumoral LAK cell and interleukin-2 therapy of human gliomas. J Neu-

rosurg. 1989;70(2):175-182. doi: 10.3171/ jns.1989.70.2.0175

25. Chernykh E.R., Stupak V.V., Tsentner M.I., Tikhonova M.A., Nikonov S.D., Ostanin A.A., Khonina N.A., Leplina O.Yu. Efficiency of combined immunotherapy in the complex treatment of malignant gliomas of the brain // Siberian oncological journal. 2004;.2-3:85-88

26. Mishinov S.V.1, Stupak V.V.1, Tyrinova T.V.2, Leplina O.Y.2, Ostanin A.A.2, Chernykh E.R. Immunotherapeutic protocols in adjuvant treatment of supratentorial high grade gliomas (literature review and results of own research) Modern problems of science and education. 2018; 6: 50.

27. Mishinov S.V., Budnik A.Ya., Stupak V.V., Leplina O.Yu., Tyrinova T.V., Ostanin A.A., Chernykh E.R. Autologous and pooled tumor lysates in combined immunotherapy of patients with glioblastoma Modern Technologies in Medicine. 2020. Т. 12. № 2. С. 34-4

28. Boiardi A, Silvani A, Ruffini PA, Rivoltini L, Parmiani G, Broggi G, Salmaggi A. Loco-regional immunotherapy with recombinant interleukin-2 and adherent lymphokine-activated killer cells (A-LAK) in recurrent glioblastoma patients. Cancer Immunol Immunother. 1994;39(3):193-197

29. Kong DS, Nam DH, Kang SH, Lee JW, Chang JH, Kim JH, Lim YJ, Koh YC, Chung YG, Kim JM, Kim CH. Phase III randomized trial of autologous cytokine-induced killer cell immunotherapy for newly diagnosed glioblastoma in Korea. Oncotarget. 2017;8(4):7003-7013. doi: 10.18632/oncotarget.12273

30. Han MH, Kim JM, Cheong JH, Ryu JI, Won YD, Nam GH, Kim CH. Efficacy of CytokineInduced Killer Cell Immunotherapy for Patients With Pathologically Pure Glioblastoma. Front Oncol. 2022;12:851628. doi: 10.3389/ fonc.2022.851628

31. Brown CE, Alizadeh D, Starr R, Weng L, Wagner JR, Naranjo A, et al. Regression of glioblastoma after chimeric antigen receptor T-cell therapy. N Engl J Med. 2016;375:2561-2569. doi:10.1056/ NEJMoa1610497

32. Ahmed N, Brawley V, Hegde M, Bielamowicz K, Kalra M, Landi D, et al. HER2-specific chimeric antigen receptor-modified virus-specific T cells for progressive glioblastoma: a phase 1 dose-escalation trial. JAMA Oncol. 2017;3:1094101. doi:10.1001/jamaoncol.2017.0184

33. O’Rourke DM, Nasrallah MP, Desai A, Melenhorst JJ, Mansfield K, Morrissette J, et al. A single dose of peripherally infused EGFRvIIIdirected CAR T cells mediates antigen loss and induces adaptive resistance in patients with recurrent glioblastoma. Sci Transl Med. 2017;9. doi:10.1126/scitranslmed.aaa0984

34. Yasinjan F, Xing Y, Geng H, Guo R, Yang L, Liu Z, Wang H. Immunotherapy: a promising approach for glioma treatment. Front Immunol. 2023;14:1255611. doi: 10.3389/fimmu.2023.1255611

67. međunarodni beogradski sajam knjiga, 25 10.2024. Predstavljena monografija:

Reproduktivno zdravlјe prvi uslov opstanka

Najnovije izdanje Akademije nauka i umjetnosti Republike Srpske /ANURS/ „Reproduktivno zdravlјe prvi uslov opstanka“ predstavlјeno je na 67. međunarodnom beogradskom sajmu knjiga.

Urednici ovog izdanja su dekan Medicinskog fakulteta Univerziteta u Banjaluci Ranko Škrbić i profesor Nenad V. Babić. Recenzenti su bili prof. dr Snježana Popović Pejičić, dopisni član ANURS, i akademik Duško Vulić.

Na promociji, na štandu Republike Srpske, Škrbić je rekao da je ova monografija koncipirana tako da bude posvećena akademiku Drenki Šećerov Zečević, koja je nedavno preminula, a bila je glavni nosilac Naučnog projekta „Reproduktivno zdravlјe u Srpskoj“ i predsjednik Odbora za reproduktivno zdravlјe i demografiju Odjelјenja medicinskih nauka ANURS. Prema Škrbićevim riječima, monografija sadrži referate sa simpozijuma iz 2019. godine, dopunjena je radovima desetak stručnjaka, gdje svaki čini posebno poglavlјe, a može da posluži kao vodič za unapređenje reproduktivnog zdravlјa ne samo u Republici Srpskoj, nego i u drugim zemlјama. Prof. dr Nenad Babić je istakao da je Odbor realizovao dvogodišnji projekat „Reproduktivno zdravlјe u Republici Srpskoj“koji je finansirao Fond zdravstvenog osiguranja Republike Srpske. U realizaciji ovog projekta anketirano je 4.610 učenika osnovnih i srednjih škola i studenata, a rezultati anketa pomogli su u pripremanju i štampanju priručnika za edukacije po obrazovnim nivoima

i studenata). Održano je preko 400 predavanja u osnovnim i srednjim školama, fakultetima i javnim tribinama.

Recenzent akademik Duško Vulić je rekao da je knjiga okupila više od 10 autora, koji u 10 poglavlјa, na multidisciplinaran način, po prvi put, sagledavaju problematiku reproduktivnog zdravlјa i demografije sa svih aspekata. Akademik Vulić je istakao da je Odbor za reproduktivno zdravlјe i demografiju od osnivanja, od 2007. godine, imao multidisciplinarni karakter i nastojao da reproduktivno zdravlјe razmatra kroz više projekata gdje je imao sopstvena istraživanja na osnovu kojih su pokrenute konkretne akcije u Srpskoj. On je rekao da ova knjiga sublimira sve što je do sada rađeno. „Tu nam je značajno da je sadašnji ministar zdravlјa Republike Srpske Alen Šeranić, odnosno Ministarstvo zdravlјa, dalo strateške pravce vezano za reproduktivno zdravlјe do 2029. godine.

Ovom monografijom stvoreni su osnovi da bi se organizovano radilo ne preko odbora, nego da sve akcije i projekti koje je pokrenula Vlada Srpske u budućem periodu budu realizovane“, rekao je Vulić. Prema njegovim riječima, vrijednost knjige je da ona po svom karakteru prevazilazi Republiku Srpsku, jer je okupila autore koji su poznati širom svijeta. „Naši autori iz Republike Srpske, na čelu sa profesorom Babićem, radili su dosta istraživanja i doprinijeli da se reproduktivno zdravlјe u Srpskoj podigne na znatan nivo i stvori novi potencijal vezano za stanovništvo u Republici”, rekao je Vulić.

Medici.com

Zajednički sastanak Odbora za kardiovaskularnu patologiju SANU i ANURS

Uspomena na akademika ANURS Drenku Šećerov Zečević, predsednicu odbora za KVB ANURS i inostranom članu Odbora za KVB SANU. O životu, radu i delu akademika Drenke Šećerov Zečević govorili su: Vladimir Kanjuh (Beograd, Srbija, SANU i inostrani član ANURS), Duško Vulić (Banjaluka, Republika Srpska, BiH, ANURS)

U okviru zajedničkog sastanka održana su predavanja:

Hronični koronarni sindrom: Intrige, Nauka, Preporuke i Praksa, Miodrag Ostojić (Beograd, Srbija, SANU i inostrani član ANURS)

Interakcije lijekova kao faktor rizika za produženje QT interval, Ranko Škrbić (Banjaluka, Republika Srpska, BiH, ANURS)

Anatomsko-kliničke korelacije Vieussens-ovog arterijskog prstena ring Mladen Kočica (Beograd, Srbija, član Odbora za KVP SANU)

(učenika osnovnih škola, srednjih škola
Učesnici zajedničkog sastanka

Kroz sveukupno trajanje čovek koristi darove majke zemlje, a posebno lekovite. Kada prepoznamo lekovite darove, usaglasimo ih sa znanjima savremene medicine te tome dodamo lični napor ka dugotrajnom i kvalitetnom životu, dobijemo Banju Vrućicu! Život joj udahnjuje izvor termalne vode čiju su lekovitost cenili i naši preci, a savremena medicina iskoristila za lečenje i tela i duše čovekove. Prirodne lepote, obilje hipertermalne mineralne vode i savremeni smeštajni objekti čine Banju Vrućicu najvećim i najlepšim zdravstveno-turističkim centrom u BiH. Vođeni prelepim ambijentom i, naravno, tradicijom članovi Udruženja doktora porodične medicine RS okupili su svoje kolege i uvažene profesore na Konferenciju pod nazivom „19. dani porodične medicine Republike Srpske sa međunarodnim ućešćem“, pod radnim nazivom „Porodična medicina – kreiraj svoju budućnost“. Hotel „Kardial’’ je 11 - 13. oktobra ove, 2024. godine, u svoje prostrane i funkcionalne odaje primio i ugostio preko 250 vrednih pregalaca, željnih da sva nova saznanja i praktična iskustva iz oblasti medicine podele među sobom.

„Poštovane kolegice i kolege, dragi prijatelji! Pred nama je 19. konferencija dana porodične medicine pod nazivom ‚Porodična medicina - kreiraj svoju budućnost’ koja ima za cilj usvajanje novih znanja i naučnih stavova“. Tako je, na svečanom otvaranju, svoje obraćanje prisutnima, u predvečerje tog petka, 11. oktobra, započeo predsednik Udruženja doktora porodične medicine RS prim. dr sc. med. Draško Kuprešak i nastavio: „Večeras kreiramo svoju budućnost razmjenjujući ideje, teme i saznanja. Ovi 19. dani porodične medicine su izraz kontinuiranog napora da stvorimo pretpostavke kako bi kompetencije i naučni stavovi bili u skladu sa svim naučnim dostignućima koji se primjenjuju u svijetu. U stručnom i naučnom dijelu konferencije biće prezentovana najnovija saznanja iz neurologije i hematologije, primjene vještačke inteligencije u PZZ, masovnih nezaraznih bolesti koje posebno u fokus stavljaju metabolički sindrom, urgentna stanja te sve relevantne teme za porodičnu medicinu. Predstavićemo saradnju našeg udruženja sa Udruženjem nefrologa, Udruženjem kardiologa, Udruženjem endokrinologa i dijabetologa Srpske, koja se ogleda u razvoju algoritma za tretman HBB kod pacijenata sa DM tip 2. Biće prezentovan novi kliničko-dijagnostički

vodič za plućnu hipertenziju koji je nastao zajedničkom saradnjom Udruženja kardiologa RS i Udruženja doktora porodične medicine RS. U sklopu programa biće održana ’Škola spirometrije’, trodnevni ciklus edukacje koji će obuhvatiti teorijski, praktični dio, kao i testiranje, nakon čega će polaznici dobiti relevantne sertifikate za svoj rad. Predstavljeni će biti rezultati ciklusa edukacije iz hematologije sa temom ’Multipli mijelom’ kao i algoritam za unapređenje menadžmenta ovog kompleksnog oboljenja sa jasnom ulogom doktora porodične medicine, kao i načina saradnje sa višim referalnim nivoima. HPV imunizacija koja je započeta prije godinu dana, interdisciplinarni pristup u tretmanu DM, predstavljanje novih ’Gold’ smjernica za astmu i HOBP te brojne druge teme biće nezaobilazni dio stručnog programa. Panel ‘Mladi doktori medicine u PZZ - ima li perspektive u porodičnoj medicini’ biće jedna od temeljnih tema Konferencije. Nakon što je naše udruženje realizovalo modul u trajanju od pet mjeseci, kroz diskusiju ćemo čuti spoznaje naših mladih kolega o porodičnoj medicini i njenoj budućnosti. Početak ove godine je bio prilično dramatičan, vezano za izdvajanja za Primarnu zdravstvenu zaštitu, koja bi trebalo da budu znatno veća ukoliko mislimo da sačuvamo kako specijaliste, tako i sve druge medicinske djelatnike. Imali smo veliko iznenađenje sa j za medicinske usluge koji je unazadio rad porodične

medicine i u finansijskom smislu doveo rad domova zdravlja u tešku poziciju. No, uspeli smo, uz pomoć radnih grupa, da korigujemo cjenovnik i ublažimo njegovo pogubno dejstvo. Ali ono što nas posebno raduje su tri novodogovorene uslge u cjenovniku Fonda zdravstvenog osiguranja za porodičnu medicinu. To su spirometrija, dermoskopija i ultrazvuk, a rezultat su napora i predanog rada Udruženja“, kazao je dr Kuprešak, i istakao izuzetnu saradnju Udruženja doktora porodične medicine sa udruženjima nefrologa, kardiologa i endokrinologa Republike Srpske, što je rezultovalo razvojem algoritma za tretman HBB kod pacijenata sa DM tip 2. Na jednoj od sesija prezentovan je i novi klinički vodič za plućnu hipertenziju koji je nastao zajedničkom saradnjom Udruženja kardiologa RS i Udruženja doktora porodične medicine RS. Predsjednik Upravnog odbora Udruženja kardiologa Srpske prof. dr Tamara Kovačević Preradović ukazala je na dobru saradnju sa Udruženjem doktora porodične medicine, zahvaljujući kojoj se posljednjih godina beleži smanjenje broja umrlih od kardiovaskularnih bolesti u Srpskoj i istakla da aktivnosti koje provode udruženja, vodiče koje primenjuju, jesu sigurno veliki iskorak. Ove godine je pažnja usmerena ka jednom, ne toliko čestom, ali fatalnom oboljenju koje pogađa mlade ljude. Oboljenju koje nije tako retko koliko se misli, samo što se puno kasni

sa uspostavljanjem dijagnoze, a to je trenutak kada se najviše može i učiniti za pacijenta. Oboljenju koje u kratkom vremenu nosi smrt. To je plućna hipertenzija. Bolest koja najčešće pogađa mlađu populaciju, bolest koja se najčešće nasleđuje i bolest koja treba što pre da bude otkrivena i što pre da se započene sa specifičnom terapijom koju, zahvaljujući Fondu zdravstva, imamo još od 2007. u kontinuitetu.

Prisutne su pozdravili i poželeli uspešan rad i Boris Rebac, predstavnik Kancelarije SZO u BiH, Aleksandar Radošević, izvršni direktor za operacije, marketing i prodaju ZTC- a Banja Vrućica, Zamenik direktora za finansijskopravne poslove Fonda zdravstvenog osiguranja Aleksandar Sekulić, predsednik Aktiva direktora domova zdravlja Vladimir Marković te putem video-linka, predsednik WONCE, prof. dr Šlomo Vinker i predsednik Asocijacije doktora porodične medicine Jugoistočne Evrope prim. dr Ljubin Šukrijev.

Osim naučnog i stručnog dela, velika pažnja je posvećena i finansiranju PZZ i uvođenju trezorskog modela poslovanja. Za Okruglim stolom, dr Kuprešak je istakao da je za optimalno funkcionisanje primarne zdravstvene zaštite potrebno izdvojiti 220 miliona KM. Zajednički je stav da dodatna sredstva treba obezbediti, osim iz redovnih prihoda Fonda zdravstva i kroz inicijativu za izmenu stope doprinosa za zdravstvo, koja je najniža u regionu, kao i uvođenjem dodatnih akciza na duvan, alkohol i drugu robu. Dr Kuprešak je potvrdio da lokalne zajednice moraju da se obavežu na izdvajanje 3% svojih budžeta za finansiranje zakonskih obaveza u zdravstvenom sektoru za domove zdravlja. Takođe je naveo da sve preostale zdravstvene ustanove koje prelaze na trezor, odnosno 37 domova zdravlja, treba da sa zaposlenima u finansijskom sektoru lokalnih uprava prođu odgovarajuću edukaciju kako bi taj proces bio efikasnije okončan. Jedan od zaključaka je i da Fond

zdravstvenog osiguranja Srpske pronađe model kako bi ugovori o finansiranju zdravstvenih ustanova bili trogodišnjeg karaktera. Na taj način bi se ispoštovala procedura usvajanja budžeta u opštinama i gradovima u predviđenim zakonskim okvirima.

Zamenik direktora Fonda za finansijsko-pravne poslove Aleksandar Sekulić je istakao da poslednjih pet godina imaju pozitivan kontinuitet i uspevaju da odgovore na potrebe definisane po nivoima i sve finansijski isprate bez kašnjenja i nedostataka.To daje stabilnost i olakšava rad zdravstvenim ustanovama, s obzirom na to da najveći broj naših osiguranika ima interakciju sa zdravstvenim sistemom preko primarne zdravstvene zaštite.

Predsednik Aktiva direktora domo-

va zdravlja Vladimir Marković čestitao je Udruženju doktora porodične medicine RS na izvanredno organizovanom skupu i poručio: „Primarna zdravstvena zaštita je delimično zapostavljena i sigurno joj nije dat značaj koji zaslužuje. Samim tim su i doktori porodične medicine u istom statusu. Na svim ključnim akterima zdravsvenog sistema je da prepoznaju vaš značaj i da ga adekvatno valorizuju. U narednom periodu svi zajedno moramo istrajati u tome, kako bismo ovu divnu profesiju ponovo učinili atraktivnom svim budućim mladim doktorima koji dolaze’’, istakao je Marković, što bi bio i najlepši zaključak 19. konferencije simboličnog naziva „Porodična medicina - kreiraj svoju budućnost“.

Uperiodu od 31. oktobra do 3. novembra 2024. godine, u Banjaluci, je održan 8. kongres fizijatara u Bosni i Hercegovini sa međunarodnim učešćem. Kongres je okupio oko 400 učesnika, prvenstveno specijaliste fizikalne i rehabilitacione medicine i srodnih specijalnosti iz cijele regije – Srbije, Crne Gore, Sjeverne Makedonije kao i eminentne predavače iz inostranstva (Turska, Austrija i Slovenija). Cilj Kongresa bio je predstavljanje najnovijih dostignuća u ovoj grani medicine, unapređenje stručnih znanja i kliničkih vještina te razmjena iskustava kroz bogat naučni, stručni i edukativni program.

Zapaženo učešće Instituta „Dr Miroslav Zotović“ 8. kongres fizijatara u Bosni i Hercegovini sa međunarodnim učešćem

Pripremila: dr Dragana Kožul, specijalizant fizikalne medicine i rehabilitacije

Kongres fizijatara u Bosni i Hercegovini organizovalo je Udruženje fizijatara Republike Srpske, na čelu sa dr Sandrom Trivunović, predsjednicom Udruženja fizijatara Republike Srpske i predsjednicom Organizacionog odbora Kongresa, u saradnji sa Udruženjem fizijatara Federacije Bosne i Hercegovine.

Naučni odbor Kongresa, sa predsjednicom prof. dr Tatjanom Nožicom Radulović, bio je odgovoran za naučni, stručni i edukativni aspekt Kongresa, osiguravajući visok kvalitet uvodnih predavanja, usmenih i poster prezentacija

u šest velikih sesija i tri radionice. Pažljivo su odabrani predavači po pozivu, usaglašeni tematski naučni radovi, selektovane usmene prezentacije, poster prezentacije i radionice, koje su pružile učesnicima uvid u najnovija dostignuća, inovacije i kliničke smjernice u oblasti fizikalne medicine i rehabilitacije.

Svečano otvaranje Kongresa održano je 31. oktobra u Banskom dvoru, uz prisustvo istaknutih predstavnika, nosilaca zakonodavne i izvršne vlasti Republike Srpske, predstavnika akademske zajednice Republike Srpske, predsjednika Evropskog društva za fizikalnu i rehabilitacionu medicinu (ESPRM), predsjednika nacionalnih udruženja fizijatara iz regiona (Slovenija, Hrvatska, Srbija, Crna Gorna, Sjeverna Makedonija), dele-

gata Mediteranskog foruma za fizikalnu i rehabilitacionu medicinu (MFPRM), direktora klinika za fizikalnu i rehabilitacionu medicinu Novog Sada i Niša, kao i generalnog direktora, zlatnog sponzora Kongresa, Instituta za fizikalnu medicinu, rehabilitaciju i ortopedsku hirurgiju “ Dr Miroslav Zotovič” Banjaluka, prof. dr sc. med. prim. dr Gorana Talića.

Institut „Dr Miroslav Zotović“ je sa ponosom bio zlatni sponzor Kongresa, čime je dodatno naglasio svoju posvećenost razvoju fizikalne medicine i rehabilitacije. Institut ne samo da je finansijski podržao Kongres, već je i ustupio svoje prostorije i stručnjake za organizaciju edukativnih radionica koje su privukle značajnu pažnju učesnika.

Dr Sandra Trivunović
Prof. dr sci. med. prim. dr Goran Talić, direktor Instituta
Prof. dr sci. med. prim. dr Tatjana NožicaRadulović

Na ceremoniji otvaranja Kongresa prisutnima su se obratili: dr Sandra Trivunović, predsjednica Udruženja fizijatara Republike Srpske i predsjednica Organizacionog odbora Kongresa, prof. dr Mirsad Muftić, predsjednik Udruženja fizijatara Federacije Bosne i Hercego-

vine, prof. dr Tatjana Nožica Radulović, predsjednica Naučnog odbora Kongresa, prof. dr Milica Lazović, delegat i past president Mediteranskog foruma za fizikalnu i rehabilitacionu medicinu (MFPRM), mr. sc. med. dr Klemen Grabljevec, predsjednik Europskog društva

za fizikalnu i rehabilitacionu medicinu (ESPRM), prof. dr Goran Talić, direktor Instituta za fizikalnu medicinu, rehabilitaciju i ortopedsku hirurgiju “Dr Miroslav Zotović”, i predsjednici nacionalnih udruženja fizijatara (Srbije, Crne Gore i Sjeverne Makedonije). Svi oni su naglasili značaj ovakvih događaja za razvoj fizikalne medicine i medicinske rehabilitacije u regionu i istakli važnost međusobne saradnje i podrške u unapređenju standarda liječenja u oblasti fizikalne i rehabilitacione medicine.

Kongres je svečano otvorio ministar zdravlja i socijalne zaštite Republike Srpske mr sc. dr Alen Šeranić, koji je istakao značaj ovakvih stručnih okupljanja i pohvalio timove Instituta “Dr Miroslav Zotović” za vrhunski kvalitet usluga koje pruža pacijentima, ističući lidersku ulogu Instituta u oblasti rehabilitacije.

Tokom Kongresa održano je šest sesija koje su pokrivale različite oblasti fizikalne medicine i rehabilitacije, uključujući: pedijatrijsku rehabilitaciju, neurološku, ortopedsko-traumatološku i rehabilitaciju nakon amputacije ekstremiteta, rehabilitaciju muskuloskeletnih oboljenja i tretman bola, dijagnostičke metode u fizikalnoj medicini i rehabilitaciji, kao i rehabilitaciju pacijenata sa kardiološkim, pulmološkim i onkološkim oboljenjima.

Sve sesije su vodili i imali uvodna predavanja doktori medicinskih nauka, istovremeno i vrhunski kliničari Instituta „Dr Miroslav Zotović“ i nastavnici na Katedri za fizikalnu medicinu i rehabilitaciju Medicinskog fakulteta i drugim visokoškolskim ustanovama. Kroz ove sesije, učesnici su imali priliku da prošire svoje znanje o najnovijim dostignućima u oblasti medicinske rehabilitacije i razmijene iskustva sa vodećim stručnjacima u regionu.

Učesnici Kongresa su imali priliku da prisustvuju i radionicama na teme:

1. Robotski asistirana rehabilitacija odraslih pacijenata sa oboljenjima centralnog i perifernog nervnog sistema

2. Robotski asistiran trening u habilitaciji i rehabilitaciji djece

3. Primjena Shockwave-a u tretmanu muskulo-skeletnih oboljenja

Radionice, organizovane u prostorijama Instituta, su robotski asistirana rehabilitacija djece i odraslih pacijenata sa oboljenjima centralnog i perifernog nervnog sistema i primjena ESWT u tretmana muskuloskeletnih oboljenja.

Radionica - Robotski asistirana rehabilitacija djece i odraslih pacijenata

Radionica

sa oboljenjima centralnog i perifernog nervnog sistema praktično je pokazala savremene metode korišćenja robotskih sistema u rehabilitaciji neuroloških pacijenata, naglašavajući važnost tehnologije u postizanju boljih funkcionalnih ishoda.

Radionica pod nazivom “Primjena ESWT u tretmanu muskuloskeletnih oboljenja” praktično je predstavila upotrebu ekstrakorporalne terapije radijalnim i fokusiranim udarnim talasima (ESWT) kao efikasne metode u tretmanu različitih muskuloskeletnih oboljenja.

i specijalizanti fizikalne medicine i rehabilitacije Instituta „Dr Miroslav Zotović“ aktivno su učestvovali u funkciji usmenih predavača i prezentera postera, prikazujući rezultate svog kliničkog rada, istraživanja i inovativne pristupe u rehabilitaciji.

Ovaj angažman zaposlenih odraz je kontinuiranog opredjeljenja Instituta ka unapređenju kliničke prakse i posvećenosti pružanju najvišeg kvaliteta zdravstvenih usluga pacijentima.

Zahvaljujući prisustvu eminentnih stručnjaka i aktuelnim temama, 8. kon-

fizijatara u Bosni i Hercegovini još jednom je pokazao da Banjaluka zauzima veoma značajno mjesto na mapi međunarodnih medicinskih skupova. Institut „Dr Miroslav Zotović“ ostaje čvrsto posvećen daljoj podršci i unapređenju fizikalne medicine i rehabilitacije, uključujući podršku edukativnim i naučnim aktivnostima koje doprinose napretku ove važne medicinske oblasti.

Kongres je uspješno završen sa porukom da je održavanje Kongresa fizijatara veoma značajno za dalji razvoj fizikalne medicine i rehabilitacije.

Specijalisti
gres

Analiza procesa u primarnoj zdravstvenoj zaštiti u Republici Srpskoj te mapiranje i prijedlozi za put daljeg unapređenja, odnosno transformacije u ovoj oblasti, u okviru projekta EU podrške reformi zdravstvenog sektora koji sprovodi Svjetska zdravstvena organizacija, bili su u fokusu radionice koja je 25. i 26. novembra 2024. godine održana na Jahorini. Radionicu je organizovalo Ministarstvo zdravlja i socijalne zaštite Republike Srpske u saradnji sa Kancelarijom Svjetske zdravstvene organizacije u BiH, a učestvovali su predstavnici domova zdravlja iz cijele Republike Srpske te ostalih relevantnih institucija u zdravstvenom sistemu.

Tokom prvog dana radionice predstavljena je analiza procesa u primarnoj zdravstvenoj zaštiti u Republici Srpskoj u kojoj su istaknute jake strane, slabosti, mogućnosti i prijetnje za jačanje primarne zdravstvene zaštite, dok je drugi dan bio posvećen utvrđivanju narednih koraka za dalji razvoj kapaciteta primarne zdravstvene zaštite u Republici Srpskoj.

Radionica: Mapiranje puta daljeg razvoja primarne zdravstvene zaštite

da se na ovaj način ne pravi nova strategija primarne zdravstvene zaštite, ali se nastoji da ona bude prilagođena novim okolnostima i potrebama stanovništva kroz proces unapređenja.

Razgovarano je o potrebi da se mladi ljekari motivišu za rad u porodičnoj medicini, o mogućnostima promocije primarne i porodične medicine,

a posebno o važnosti pružanja preventivnih usluga i mogućim nosiocima ovih aktivnosti u narednom periodu. Kao rezultat ove radionice biće pripremljen i dokument analize stanja i prijedlozi za dalji razvoj primarne zdravstvene zaštite u okviru projekta koji podržava EU.

Odsjek za odnose s javnošću MZSZ Republike Srpske

Pomoćnik ministra za zdravstvenu zaštitu dr Milan Latinović je istakao

настојања да се што свеобухватније сагледају узроци као и посљедице

гојазности, компликације и коморбидитети те развију нови фармакотерапијски и хируршки присту-

пи, поред дијете и физичке активности, укључујући и примје-

ну вјештачке интелигенције, који би требало да се супротставе овој

пандемији.

1. новембра 2024. године, у свечаној сали Српске академије наука и уметности (САНУ ) у Београду, одржан је цјелодневни симпозијум са међународним учешћем под називом „ГОЈАЗНОСТ, МЕТАБОЛИЧКИ СИНДРОМ И ПРЕДИЈАБЕТЕС“

Позвана сам као једини предавач из Републике Српске, БИХ и региона, да учествујем у раду овог значајног међународног симпозијума, као дописни члан Академије наука и умјетности Ре-

публике Српске (АНУРС ) и екс-

перт за гојазност и дијабетес. Организатори симпозијума су

били Српска академија наука и уметности (Одбор за ендокринологију и факторе спољашње средине ) и Удружење за превенцију и лечење гојазности и метаболичких поремећаја „ГоМет“. Пресједник Научног одбора Симпозијума је био академик Драган Мицић, секретар Одељења

дописни члан Академије наука и умјетности Рeпублике Српске, Specialist Certification of Obesity Professional in Europe, специјалиста интерне медицине - супспецијалиста ендокринологије, примаријус, редовни професор

предавања: Проф. др Снежана Половина: Инкретини -од физиологије до терапије ; Проф. др Александра Јотић: Перспективе превенције дијабетеса после гестацијског дијабетеса Доц. др Огњен Скробић: Баријатријска хирургија у служби превенције дијабетеса .

четвртој сесији: Гојазност и кардиоренални ризик се говрило

са аспекта нефро-

и кардиолога; гојазности и масној јетри те утицају гојазности

За говорницом академик Драган Мицић, потом проф. др М. Шумарац Думановић, проф. W. Ферреира Цоутинхо, академик Небијша

М. Лалић, проф. др Светлана Вујовић

Peti kongres Srpskog udruženja sa endokrinologiju pola i Multidisciplinarnog udruženja za menopauzu i involutivni hipoandrogenizam, održan je u Kongresnom centru “Sava Centar” u Beogradu od, 03.10.-05.10.2024 godine.

Kongres je otvorila prof. dr Svetlana Vujović , predsjednik Udruženja i predsjednik Kongresa. Prof. Vujović je član Svjetskog borda za ginekološku endokrinologiju, član Svjetskog borda za menopauzu, predavač na najuglednijim svjetskim univerzitetima od SAD-a, Velike Britanije, Kine, Katara i dr. Osnivač je Nacionalnog centara za infertilitet i endokrinologiju pola.Svojim ogromnim znanjem i vizionarskim idejama hrabro ruši tabue i trasira nove puteve u medicini.

Prof. dr Svatlana Vujović je i Direktor Klinike za endokrinologiju, dijabetes i bolesti metabolizma Kliničkog Centra Srbije, redovni profesor na Medicinskom fakultetu Univerziteta u Beogradu i visiting profesor na Medicinskom fakultetu, Univerziteta u Banjoj Luci. Predsjednik Republike Srpske, gospodin Milorad Dodik, povodom obilježavanja 31. godine Republike Srpske i proslave Dana Republike Srpske, odlikovao ju je Ordenom časti sa zlatnim zracima.

Svečano otvaranje Kongresa, bilo je praćeno odličnim plenarnim predavanjima. uglednih profesora iz inostranstva sa značajnim temama: Otkrivanje kontraindikacija za hormonsku terapiju u menopauzi: kardiovaskularni rizik tokom reproduktivnih godina; prilagođavanje potreba za hormonskom terapijom individualno ženi u postmenopauzi – smanjenje rizika i povećanje koristi; upravljanjev endometriozom u postmenopauzi.

Congress Center "Sava centar", 3.10-5.10.2024. god.

5th Serbian Congress of Serbian Society for Endocrinology of Gender and Serbian Menopause Society

5. Kongres Srpskog udruženja sa endokrinolgiju pola i Multidisciplinarnog udruženja za menopauzu i involutivni hipoandrogenizam

Prilog pripremila: Prof. dr Snježana Popović-Pejičić, dopisni član ANURS-a, Šef Katedre za Internu medicinu, Medicinskog fakulteta Univerziteta u B. Luci, Predsjednik Udruženja za dijabetes, gojaznost i kardiometaboličke bolesti Republike Srpske

PLENARY LECTURES

Prof. dr Andrea Genezzani: Demystifying contraindications to menopause hormone therapy;

Prof. dr John Stevenson: Cardiovascular risk in reproductive years

Prof. dr Mark Brincat: Tailoring HRT needs for the individual postmenopausal womanreducing risk increasing benefits; Prof. dr Tamer Erel: Postmenopausal endometriosis management

Drugog dana Kongresa,04. 10.2024 god, u jutarnjim satima održana je značajna sesija Metabolički poremećaji i dijabetes, u okviru koje su učesnici imali zadovoljstvo da slušaju 5 zanimljivih predavanja posvećenih: Promjenama lipida u menopauzi; Da li je dijabetes samo metabolička ili reproduktivna disfunkcija ?; Nove tehnologije u tipu 2 dijabetesa; Polne razlike u tipu 2 dijabetesa; Dijabetes tipa 2 kod starijih osoba -klinička razmatranja i menadžment.

METABOLIC DISORDERS AND DIABETES

Chairpesons: Prof. dr Katarina Lalić, Prof. dr Snježana Popović Pejičić

Prof. dr Katarina Lalić: Lipid changes in menopause

Prof. dr Milena Mitrović: Diabetes mellitus: is it only metabolic or reproductive dysfunction in the same time; Prof. dr Aleksandra Jotić: New technologies in type 2 gestational diabetes

Prof. dr Snježana Popović Pejičić: Type 2 diabetes mellitus in older adults: clinical considerations and management Akademik Nebojša Lalić: Gender differences in type II diabetes

U ovoj sesiji održano je zanimljivo predavanje prof. Snježane Popović Pejičić o specifičnosti tipa 2 dijabetesa (T2D) kod starijih osoba.Iznesene su novine u vezi sa ključnim patofiziološkim mehanizmima povezanim sa T2D kod starijih osoba, analizirane kliničke poteškoće zbog prisustva gerijatrijskih sindroma, dijabetesnih komplikacija i komorbiditeta, kao i uticaj na postojeće preporuke i terapijske opcije kod starijih osoba sa T2D. Zaključci su bili usmjereni na uticaj T2D na društvo koje stari.

Poznato je da se broj osoba sa T2D starijih od 65 god. brzo se povećava širom svijeta i predstavlja gotovo polovinu svih osoba sa dijabetesom. Visoka pojavnost ove bolesti je povezana sa demografskim promjenama, odnosno starenjem stanov-

Prof. dr Svetlana Vujović
Prof. dr Andrea Genezzani za govornicom

ništva i sve duljim životnim vijekom, te izloženošću kardiometaboličkim faktorima rizika, naročito prekomjernoj tjelesnoj težini i smanjenoj fizičkoj aktivnosti. Starije osobe sa dijabetesom predstavljaju veliki dijagnostički izazov, jer se često mogu zanemariti nespecifični simptomi, kao umor, nokturija, gubitak na težini i oslabljen vid, i pripisati ih starenju. T2D kod starijih osoba je veoma heterogena bolest, koja je povezana sa različitim stepenima insulinske rezistencije, gojaznošću, disfunkcijom β-ćelija pankreasa i sarkopenijom.Izražena heterogenost ove grupe pacijenata, potencijalno prisustvo više komorbiditeta, povećana podložnost hipoglikemijama, zavisnost od tuđe njege i efekat krhkosti doprinose složenosti liječenja T2D kod starijih osoba, što je bio jedan od zaključaka ovog predavanja.

U trećoj sesiji održano je 5 predavanja posvećenih sindromu policističnih jajnika, značajnom zdravstvenom problemu u svakodnevnoj kliničkoj praksi.

Teme predavanja su obuhvatile: PCOS kod adolescentkinja: Trajne zagonetke u liječenje;PCO kod žena iznad 40 godine:menadžment i tertman; Mogućnosti upravljanja PCOS-om u zavisnosti od kliničke slike; Kardiometabolički efekti nove antihiperglikemijske terapije kod sindroma policističnih jajnika; Mediteranska ishrana i SIM skor

POLYCYSTIC OVARY SYNDROME

Chairpersons: Prof. dr Tamer Erel, Prof. dr Vesna Srećković Dimitrijević

Prof. Dr Blazej Meczekalski: PCOS in Adolescents: Ongoing Riddles in Diagnosis and Treatment

Prof. dr Mark Brincat: PCO in the over 40’s. pathologies and management and treatment

Prof. Dr Natalia Pedachenko: Possibilities in PCOS management depending on clinical portrait

Prof. dr Milena Brkić: Cardiometabolic effect of a new antihyperglycemic therapy on polycystic ovary syndrome

Prof. dr Vesna Dimitrijević Srećković: Mediterranean diet and SIM score

Izuzetnu pažnju je izazvala četvrta sesija posvećena: Menopauzi i poboljšanju kvaliteta života, kojoj su predsjedavali Prof. dr Andrea Genezzani i Prof. dr Svetlana Vujović. Učesnici Kongresa su imali zadovoljstvo da saslušaju veoma interesantno predavanje prof. Svetlane Vujović posvećeno funkciji nadbubrežnih žlijezda u prijevremenoj disfunkciji jajnika, kao i predvanje prof. dr Andrea Genezzani: Da li je androgene potrebno primjeniti kod žena na početku postmenopauze radi poboljšanja kvaliteta života?

Slijedio je potom niz veoma dobrih predavanja: Terapija testosteronom kod žena u menopauzi: zašto? Koliko dugo? Koji režim?; „Izgubljene“ u menopauzalnoj tranziciji: dijagnostičke i terapijske dileme;Menopauza kao metabolički izazov kod žena; Uloga peptidnih kompleksa u podmlađivanju ljudskih tkiva.

MENOPAUSE - IMPROVING QUALITY OF LIFE

Chairpersons: Prof. dr Andrea Genezzani, Prof. dr Svetlana Vujović

11.30-11.45 Prof. dr Andrea Genezzani: Should androgens be offered in advance to postmenopausal women to improve quality of life?

11.45-12.00 Prof. dr Damir Franić: Testosterone therapy in menopausal women: why? How long? Which regimen?

12.00-12.15 Prof. dr Svetlana Vujović: Adre-

nal gland function in premature ovarian insufficiency

12.15-12.30 Prof. dr Branka Nikolić: “Lost” in the menopausal transition: diagnostic and therapeutic dilemmas

12.30-12.45 Prof. dr Svetlana Spremović Rađenović: Menopause as metabolic chalenge in women

12.45-13.00 Prof. dr Aleksandar Đogo: The role od peptide complexes in the rejuvenation of human tissue

Vrlo intresantna i posjećena sesija: Seksualnost ka transseksualnosti , kojom su predsjedavali Prof. dr Blazej Meczekalski i Prof. dr Aleksandar Milošević Ova sesija je obuhvatila zanimljiva predavanja: Transrodnost – humanističko i empatično razumijevanje rodnog identiteta; Tjelesni sastav: rodne razlike i efekti terapije za afirmaciju roda; Seksualnost žena; Funkcionalna hipotalamička amenoreja: pogled iz različitih perspektiva; Uloga AMH; Uticaj dijagnostike mutacije FMRI koda na pacijentkinje sa prevremenim iscrpljenjem jajnika

U subotu 05.10.2024. je održano je još 6 veoma značajnih sesija,posvećenih osteoporozi; neuroendokrinologiji i polu; gojaznosti i polu; štitastoj žlijezdi i polu i muškom infertilitetu

Ovim su obuhvaćene sve oblasti endokrinologije uključujući i sesiju posvećenu postignućima mladih endokrinologa: Rastučim zvjezdama među mladim endokrinolozima,

U radu ovog impozantnog međunarodnog Kongresa je učestvovalo 660 ljekara i medicinskih sestara, 90 profesora predavača, iz 18 zemalja i Srbije, predsjednik svjetske asocijacije ginakološke endokrinologije i 5 članova svjetskog borda. Sem izvrsnog naučnog programa, socijalni program kojeg uvjek na poseban način osmisli prof. Vujović, je bio izvrstan i gosti su uživali u ljepotama Beograda i Zemuna sa jedinstvenom obilaskom „Gardoš „ kule i okoline.

Opšti je utisak da je 5. Kongres Srpskog udruženja sa endokrinolgiju pola i Multidisciplinarnog udruženja za menopauzu i involutivni hipoandrogenizam, bio veoma uspješan i odlično organizovan, a učesnici su sem razmjene novih znanja ostvarili i brojna nova prijateljstva, uz želju da ponovno učestvuju u radu tradicionalnih, veoma kvalitetnih simpozijuma i kongresa koje organizuje Srpsko udruženje za endokrinologiju pola i Multidisciplinarno udruženje za menopauzu i involutivni hipoandrogenizam na čelu sa briljantnom prof. dr Svetlanom Vujović!

Prof. dr Snježana Popović-Pejičić, dopisni član
ANURS-a za govornicom

Simpozijum

iz interventne

kardiologije i Simpozijum iz poremećaja srčanog ritma CzAR

Udruženje kardiologa Republike Srpske, od 1. do 3. novembra 2024. godine u Banjaluci, organizovalo je Simpozijum iz interventne kardiologije i Simpozijum iz poremećaja srčanog ritma, čija je tehnička podrška bila agencija MedNet.

Tokom dva dana simpozijuma učesnici su imali priliku da prisustvuju brojnim stručnim predavanjima, prikazima izazovnih slučajeva iz kliničke prakse, prezentacijama rezultata iz drugih institucija u Republici Srpskoj i regiona, sesijama mladih kardiologa, kao i simpozijumima industrije.

Poseban značaj je bio posvećen razmjeni znanja i iskustva sa vodećim regionalnim institucijama iz oblasti aritmologije kao što su IKVB „Dedinje“, IKVB Sremska Kamenica, Klinički centar Srbije, Klinički centar Niš, KBC Rijeka, KBC Split, KC Dubrava, Institut za kliničku i eksperimentalnu medicnu IKEM (Prag), KBC Zvezdara, KC Ljubljana KC Skopje i drugim.

Cilj simpozijuma je bio da se napravi presjek savremenih dostignuća u dijagnostici, prevenciji i terapiji kardiovaskularnih bolesnika iz ugla interventnih procedura, ali i neinvazivne i funkcionalne dijagnostike.

Predavanja su održali vodeći stručnjaci iz oblasti aritmologije iz Repu-

blike Srpske i regiona. Pored stručnih predavanja ljekara, održana je i sesija medicinskih tehničara.

U sklopu Simpozijuma prezentovane su i najsavremenije tehnologije u liječenju atrijalne fibrilacije kao i principi i metode ekstrakcije intrakardijalnih uređaja, što predstavlja jedan od idućih koraka u pružanju usluga Centra za aritmije Kliničkog centra Republike Srpske.

Posebna sesija je bila posvećena trenutno najfiziološkijem obliku pejsinga - pejsing lijeve grane Hissovog snopa u kojem UKC RS ima značajno iskustvo.

Uspješno organizovanom simpozijumu svjedoči i veliki odaziv učesnika različitih specijalnosti i riječi zahvalnosti predavača i čestitke na sjajnoj organizaciji.

Pripremio: dr Vladimir Beronja

Н

а Јахорини је од 29. до

31. октобра 2024. годи-

не, у оквиру седме фазе

Програма „Предшколске уста-

нове/школе пријатељи правилне

исхране” (ПУППИ), одржан тре-

нинг тренера у организацији ЈЗУ

Институт за јавно здравство Републике Српске.

У реализацију едукација за нове предшколске/школске установе у РС, као примјери добре праксе и огледне установе за едукацију нових установа, заједно са стручним тимом Института, укључени су Дјечји центар „Буба-мара“ Пале, ЈУ за предшколско васпитање

Dana 16.11.2024. godine u Brčkom je održan jednodnevni godišnji stručni sastanak Udruženja psihijatara Republike Srpske. Tema sastanka je bila “Dualni poremećaji”. Predavači na skupu su bili prof. dr Nera Zivlak Radulović, psihijatar, Klinika za psihijatriju UKC RS; prim. dr sc. med Mirjana Mišković, Klinika za psihijatriju UKC RS; doc. dr sc. med. Višnja Banjac Baljak, Klinika za psihijatriju UKC RS; dr Jadranka Stanković, Klinika za psihijatriju UKC RS; mr ph. Asja Sirbubalo, magistar farmacije. Na našem skupu smo željeli da progovorimo o problemima sa kojima se susrećemo u dijagnostici i terapiji dualnih poremećaja, a potom i o mogućnostima za poboljšanje situacije u ovom području psihijatrije.

Evropski centar za nadzor droga i zavisnosti od droga definiše dualni poremećaj kao privremenu koegzistenciju dva ili više psihijatrijskih poremećaja, definisanih po MKB 10 od kojih je jedan problematično uzimanje psihoaktivnih supstanci. Svjetska zdravstvena organizacija definiše dualni poremećaj kao istovremeno postojanje poremećaja zloupotrebe psihoaktivnih supstanci i drugog psihijatrijskog poremećaja kod istog pojedinca. Statistički podaci govore da u 37% slučajeva u opštoj populaciji uz alkoholizam se dijagnostikuju i drugi mentalni poremećaji. Ti psihijatrijski poremećaji mogu biti primarni i prouzrokovati zavisnost od alkohola ili sekundarni, kada se razvijaju kao posljedica zavisnosti od alkohola ili mogu nastati istovremeno prema Kaplanu i Sadock/2001/. Ovo nije situacija samo sa alkoholizmom već i sa drugim zavisnostima. Mnogi pacijenti, oboljeli od mentalnih poremećaja, pokušavaju da saniraju svoje tegobe uzimajući psihoaktivne supstance, ne javljajući se kod ljekara da traže pomoć. S druge strane, postoji anksioznost, manija depresija, psihoza uzrokovana upotrebom alkohola kao primarnog problema. Postoje brojna istraživanja na temu veličine prisutnosti dualnih poremećaja. Postojanje dva poremećaja istovremeno otežava dijagnostiku, ali i terapijski pristup ovim poremećajima.

Prema dijagnostičkim klasifikacionim kriterijumima za razlikovanje primarnih od sekundarnih poremećaja (DSM V, MKB 10) neophodno je uzeti dobru anamnezu, heteroanamnezu, dobro opservirati pacijenta, procjenu vršiti nakon nekoliko sedmica od uspostave apstinencije /razlikovanje sekundarne

Godišnji stručni sastanak Udruženja psihijatara Republike Srpske

Dualni poremećaji

depresije koja se javlja tokom uspostave apstinencije od primarne depresije/. Nezavisna depresija se dijagnostikuje ako simptomi prethode početku pijenja alkohola, ako perzistiraju duže od mjesec dana nakon prestanka teške intoksikacije ili apstinencijalnog sindroma, ako su simptomi intenzivni i ako imamo podatak o postojanju velikih depresivnih ili maničnih epizoda.

nu mentalnog zdravlja (Mental health screening form) koji je razvijen u svrhu identifikacije komorbiditeta kod pojedinaca koji ulaze u tretman zavisnosti. Integrisani model tretmana dualnih poremećaja predviđa kreiranje tretmana oba poremećaja na način da se tretmanski programi provode istovremeno i da ih vodi multidisciplinarni tim (Drake, Wallach i Mcgovern, 2005). U

Radi bolje dijagnostike mogu se koristiti i određeni mjerni instrumenti. Dual diagnosis screening instrument — DDSI je važeći mjerni instrument namijenjen otkrivanju najčešćih psihičkih poremećaja kod konzumenata droga poput depresije, manije, psihoze, panike, socijalne fobije, specifične fobije, ADHD-a. Upitnik za psihijatrijsku dijagnostičku procjenu (Psychiatric diagnostic screening questionnaire,PDSQ) je instrument za samoprocjenu prema DSM-IV (2000). Preporučuje se za procjenu psihičkog zdravlja i upotrebe sredstva zavisnosti već u primarnoj zdravstvenoj zaštiti. Treći instrument je obrazac za procje-

Finskoj, Italiji, Nizozemskoj, Norveškoj i Španiji postoje specijalizovane jedinice za stacionarno liječenje osoba s akutnim dualnim poremećajem, stambene zajednice za „dualce“ te programi koji se provode u centrima u zajednici. Navedeni primjeri ukazuju na korake koji se preduzimaju kako bi u praksi zaživio integrisani tretman (EMCDDA, 2015). Želja nam je da i mi napravimo integrisane jedinice za stacionarno liječenje osoba sa dualnim poremećajima. Za sada to radimo na nivou ambulantnog tretmana kroz Kabinet za dualne poremećaje.

Prof. dr Nera Zivlak Radulović

Internacionalni simpozijum Srpski psihijatrijski dani sa temom „Agresija i njena lica“ po prvi put je održan u beogradskom hotelu „Mona Plaza“ u periodu 1-2. novembra 2024. godine, okupivši oko 400 učesnika iz Njemačke, SAD, Grčke, Srbije, Hrvatske, Sjeverne Makedonije i Bosne i Hercegovine. Tema prvog simpozijuma u organizaciji Udruženja psihijatara Srbije (UPS), koji je podržala Evropska psihijatrijska asocijacija (EPA) fokusirala se na agresiju, sa svih aspekata, počev od bioloških, genetskih, psihodinamskih, preko razvojnih i specifičnih karakteristika do socijalnih i socioloških uzroka, konteksta i posljedica, obrađujući kompleksne kombinovane terapijske pristupe, uz naglasak na multidisciplinarnim i multisektorskim saradnjama, individualizovanim i na osobu usmjerenim tretmanskim planovima.

Eminentni eksperti iz Njemačke, Grčke, Austrije, Bosne i Hercegovine, Hrvatske i Sjeverne Makedonije fokusirali su se na biološke i psihoterapijske pristupe agresiji, kao jednom od sve vidljivijih oblika ponašanja u savremenom društvu, sada manifestnom u svim zemljama i kulturama svijeta, bez obzira na ekonomsku ili društvenu razvijenost.

Prvi srpski psihijatrijski dani u Beogradu

Agresija i njena lica

Plenarna predavanja održali su prof. dr Thomas Schultze (Njemačka/Sjedinjene Američke Države, budući predsjednik Svjetske psihijatrijske asocijacije), akademik prof. dr Dušica Lečić Toševski (Srbija, Srpska akademija nauka i umetnosti), prof. dr Meryam Schuler Ozak (Njemačka, predsjedavajuća Etičkog komiteta Evropske psihijatrijske asocijacije) i prof. dr Konstantinos Fountoulakais (Aristotelov univerzitet u Solunu, Grčka). Oni su pružili dragocjene globalne perspektive o mentalnom zdravlju. Njihov doprinos dao je poseban značaj diskusijama o kompleksnosti agresije u kliničkom okruženju, ističući potrebu za etički utemeljenim pristupima.

Poseban dio konferencije bila je radionica „Multifamilijarna terapija“, organizovana u saradnji UPS i Sekcije mladih psihijatara Srbije, pod vodstvom mr sc. Mirjane Selaković iz Atine (Grčka). Ova radionica pružila je praktičan uvid u pristupe multifamilijarne terapije, osnažujući učesnike praktičnim strategijama za podršku porodicama i pojedincima koji se suočavaju s izazovima mentalnog zdravlja. Takođe je podstakla mlade stručnjake da se angažuju u inovativnim terapeutskim metodama, čime je pokazana posvećenost UPS razvoju i mentorstvu u okviru psihijatrijske zajednice.

Visok stepen stručno-naučnog kvaliteta, uz odličnu organizaciju na čelu sa prof. dr Čedom Miljevićem, predsjednikom UPS iz Instituta za mentalno zdravlje Beograd, svim učesnicima

je dao nova znanja i podstakao na veoma kvalitetne i sveobuhvatne diskusije. Srpski psihijatrijski dani uspostavljeni su kako bi okupili psihijatre iz cijele Srbije, ali i regiona, pružajući priliku za saradnju, razmjenu znanja i istraživanje

aktuelnih psihijatrijskih tema. Pored Nacionalnog kongresa UPS, koji se održava svake četiri godine, Srpski psihijatrijski dani imaju za cilj da svake godine okupe psihijatre i njima srodne profesije kako bi se unaprijedilo profesionalno angažovanje i odgovorilo na trenutne izazove u psihijatriji.

Pripremio: Prim. Goran Račetović, dr. med., specijalista psihijatrije, Centar za zaštitu mentalnog zdravlja, Dom zdravlja Prijedor

Prof. dr Marija Burgić-Radmanović
Profesori Čedo Miljević i Dragan Babić
Prof. dr Thomas G. Schultze
Prof. dr Meryam Schuler-Ozak

Udruženje medicinskih sestara, tehničara i babica Republike Srpske 15. novembra tradicionalno je organizovalo savjetovanje za odgovorne i glavne sestre pod nazivom „Da li se promijenio, ili nije, status od pomagača do profesionalca“. Savjetovanje je održano u sali „Prezident“ Hotela „Bosna“ u Banjaluci. Savjetovanju su prisustvovale medicinske sestre iz UKC Republike Srpske, Bolnica Gradiška, JZU Dom zdravlja: Banjaluka, Kotor Varoš, Mrkonjić Grad, Institut „Dr Miroslav Zotović“, Srednja medicinska škola Banjaluka, FZO Republike Srpske... Savjetovanje je podržala svojim prisustvom i učešćem Mirjana Janković, viši stručni saradnik za sestrinstvo pri Ministarstvu zdravlja Republike Srpske.

Svi prisutni su imali priliku za aktivno učešće i vodili su konstruktivne i usklađene diskusije na temu koja je obrađena na ovom savjetovanju. Pružena je prilika svim zainteresovanim učesnicima za razmjenu informacija vezanih za temu. Raspravljalo se o tome šta se promijenilo u statusu medicinskih sestara-tehničara, koje su sestrinske intervencije samostalne a koje nisu, karakteristike sestrinske profesije, za šta je važan profesionalni izgled i obilježja sestrinske uniforme. Došli smo do brojnih zaključaka da je u toku proces prihvatanja sve odgovornije uloge u zdravstvenom sistemu, ali i u biomedicinskim naukama. Treba da pratimo EU Direktive 2005/36/EZ koje regulišu kompetencije i sistem školovanja. Omogućavanjem preddiplomskih i diplomskih sestrinskih studija raste i nivo odgovornosti medicinskih sestara. Ovi značajni procesi nisu praćeni sistematizacijom i priznavanjem nivoa obrazovanja unutar zdravstvenog sistema. Pojavljuju se novi izazovi u predstojećim godinama gdje su sve veće potrebe stanovništva s obzirom na produžetak očekivane starosne dobi i rastućih potreba za zdravstvenom njegom te, s druge strane, mogućnost razmjene i mobilnost profesionalaca unutar zemalja EU. Veća finansijska sigurnost, bolji uslovi rada neki su od razloga egzodusa medicinskih sestara iz Republike Srpske, BiH. Sestrinstvo je profesija koja pruža usluge zdravstvene njege za bolesne i zdrave. Virginija Henderson definisala je ulogu medicinske sestre kao: „...pomoć pojedincu, bolesnom ili zdravom, u obavljanju aktivnosti koje doprinose zdravlju, oporavku (ili mirnoj smrti), a koje bi obavljao samostalno kada bi

Udruženje medicinskih sestara, tehničara i babica Republike Srpske

Da li se promijenio, ili nije status medicinskih sestara i tehničara

imao potrebnu snagu, volju ili znanje. Pomoć treba pružiti na način koji će doprinijeti što bržem postizanju njegove samostalnosti. Medicinske sestre prihvaćene su kao neizostavni dio tima, međutim, rijetko se o njima razmišlja. Uloga, važnost i vrijednost mijenjaju se pri pojavi potrebe za zdravstvenom njegom, kada bolesni pojedinac ima potrebu za njihovom intervencijom u procesu njege i liječenja. U tom kontekstu medicinske sestre zauzimaju visoku poziciju, jer su podrška pri vrlo osjetljivim situacijama, pri osjećaju nemoći i potrebom za pomoć od druge osobe, tad se o njima drugačije razmišlja i prihvata se njihova važnost.

Medicinske sestre osjećaju da je profesija na ljestvici društvenih vrijednosti ispod očekivanih, mada zadnja istraživanja pokazuju da su medicinske

sestre grupa kojoj se najviše vjeruje i zauzimaju mjesto na samom vrhu. Veliko opterećenje poslom zbog neadekvatnih uslova i moralno-etički principi dovode medicinske sestre u samo procjenjivanje i preispitivanje o vrijednosti rada. Puno obaveza, radnih zadataka u određenom vremenu kod sestara proizvodi nezadovoljstvo vlastitim radom. Rad koji nije u potpunosti usklađen vremenskim okvirima ne može osobi dati zadovoljstvo odrađenom smjenom i poslom u radnom vremenu. Obrazovanje sestara pomoćnica širilo se u svim smjerovima širom svijeta, potaknuto vizijom dame sa svjetiljkom. Važno je širiti modele dobre prakse koje primjenjuju medicinske sestre. Medicinske sestre imaju glas koji određuje uticaj na zdravlje. Sestre su agenti promjena, medicinske sestre su u središtu donošenja promjena koje su potrebne. Kao profesionalci, medicinske sestre imaju sposobnost rada rješavanja akutnih zdravstvenih potreba pojedinaca i društva u cjelini, rješavanja društvenih potreba i socijalnih uslova. Mogu se baviti porodicama, gledati dešavanja u društvu i cjeloživotno poboljšati svoje znanje, iskustvo kroz širenje uticaja. Ključni su partneri u pružanju zdravstvene njege i promovisanju zdravlja i dobrobiti ljudi.

Zdravstvena njega u sestrinstvu u svim definicijama tog zanimanja oduvijek se smatrala osnovnim područjem rada medicinske sestre.

Pripremila: Mr Živana Vuković Kostić

Nada, podrška, učenje, snaga, iskustvo, zajedništvo, povjerenje, rješenje, sigurnost... Ovo su samo neke od riječi kojima su medicinske sestre opisale svoja iskustva na nedavno održanoj završnoj evaluaciji pod nazivom „Uvođenje supervizije u sistem zdravstvene zaštite u JZU Univerzitetski klinički centar Republike Srpske“ u okviru Projekta jačanja sestrinstva u BiH, koji sprovode Ministarstvo zdravlja i socijalne zaštite Republike Srpske i Fondacija „Fami“, uz podršku Vlade Švajcarske.

Supervizija predstavlja profesionalnu podršku, koja se kod nas po prvi put uvodi, a koja je značajna za osnaživanje medicinskih sestara i tehničara kao prevencija profesionalnog sagorijevanja. Supervizija jača i lične i profesionalne kapacitete stručnih radnika za obavljanje profesionalne prakse, naročito u pomažućim profesijama poput zdravstvenih ili socijalnih radnika. Na ovaj način oni se i emocionalno rasterećuju, poboljšava se kvalitet njihovog rada, postaju zadovoljniji, a razmjenjujući iskustva doživljavaju lični razvoj i napredovanje. Jačajući kao stručnjaci-profesionalci, štite svoje mentalno zdravlje, daju bolju uslugu, a to sve utiče na unapređenje zdravstvene zaštite za pacijente.

Učesnici su nakon završenog ciklusa suprevizije ocijenili da im je on pomogao za povećanje njihove motivacije za posao i kvalitet budućeg rada.

JZU Univerzitetski klinički centar

Uvođenje supervizije u sistem zdravstvene zaštite

Supervizija uspješno primijenjena, osnažila medicinske sestre i tehničare

od po šest mjeseci. Na supervizijskim susretima učestvovalo je ukupno 84 medicinskih sestara i tehničara, koji su ovaj proces prošli uz podršku četiri supervizora.

Projekat jačanja sestrinstva u BiH se realizuje već duže od deceniju, a u Republici Srpskoj ga realizuje Ministarstvo zdravlja i socijalne zaštite u saradnji sa Fondacijom „Fami“. Nedavno je u Ministarstvu zdravlja i socijalne zaštite Republike Srpske održan i

Supervizija je u Univerzitetskom kliničkom centru Republike Srpske uvedena kao pilot projekat, u saradnji sa Asocijacijom supervizora u BiH, a održana je u dva ciklusa u trajanju

sastanak Upravnog odbora ovog projekta, kojim je predsjedavao pomoćnik ministra zdravlja Milan Latinović, a na kojem je usvojen i godišnji plan rada za narednu godinu.

Škola atopije za roditelje djece oboljele od ekcema

Posjeta Prvoj hirurškoj klinici u Beogradu

Dr Igor Krdžić, instruktor laparoskopije

Prof. dr Vlado Đajić na sajmu u Dizeldorfu

Škola regionalne anestezije

Uppsala Monitoring Centrea “#MedSafetyWeek”

Edukacija sanitarnih inženjera

Stručni sastanak kardiologa i kardiohirurga

Treća škola ultrazvuka u ginekologiji i akušerstvu “Primarijus Petar Ristić”

Kongres neurologa Srbije

Edukacija gipsera

Svjetski dan dijabetesa

U posjeti UKC Maribor

Internacionalni dan radiologije

Svjetski dan borbe protiv moždanog udara

Škola atopije za roditelje djece oboljele od ekcema

Klinika za kožne i polne bolesti Univerzitetskog kliničkog centra Republike Srpske i Udruženje doktora za kožne i polne bolesti “Kutis” su organizovali Školu atopije za roditelje djece oboljele od ekcema u Sali za predavanja UKC Republike Srpske.

Ovo je drugi put da se u našoj ustanovi organizuje škola koja govori o kompleksnosti dermatitisa i važnosti edukacije za oboljele i njihove roditelje.

Pojam atopija predstavlja nasljednu sklonost koja se manifestuje burnijim reagovanjem na uo-

bičajene stimulanse iz spoljašnje sredine, odnosno alergene. Većina ljudi u kontaktu sa ovim alergenima nema nikakve probleme, ali će osobe koje imaju imunološki poremećaj u kontaktu sa njima razviti određene simptome.

Manifestacije atopije mogu biti na koži, kada se govori o ekcemu - alergijskom dermatitisu, na disajnim organima - astma ili alergijski rinitis i na očima, kada se javlja alergijski konjunktivitis. Ovo oboljenje se javlja kod 20 do 30 odsto djece predškolske dobi. Većina djece ga preraste odrastanjem, ali od pet do 10 odsto nosi simptome i u odrasloj dobi.

nika i roditelja, što pokazuje da je ovaj seminar veoma opravdan i da će sigurno dati rezultate. Kao što ste imali priliku vidjeti, prije nekoliko dana smo ovdje imali press o najsavremenijim i minimalno invazivnim operacijama grudnog koša i raznih drugih oblasti. Danas govorimo o oboljenju koje onemogućuje normalno funkcionisanje i koje stvara velike probleme. Naša želja jeste da edukujemo naše zdravstvene radnike i ljekare, da edukujemo roditelje i stanovnike kako bi bolje shvatili problem i istovremeno da omogućimo primjenu savremene terapije kako bi tegobe bile što manje. Cilj svakog od nas jeste da izliječimo sve i jednu bolest. Nastavljamo i dalje sa razvojem Univerzitetskog klinič-

Škola atopije danas predstavlja zlatni standard u liječenju atopijskog dermatitisa/ekcema koji je česta hronična bolest u djetinjstvu i koja se, nažalost, javlja i u odrasloj dobi.

„Hvala uvaženoj koleginici iz Zagreba, hvala mojim kolegama iz Klinike za dermatovenorologiju i Klinike za dječje bolesti. Ponosan sam, danas je subota, neradni dan, a amfiteatar u našem kliničkom centru je pun zdravstvenih rad-

kog centra Republike Srpske, nastavljamo dalje da edukujemo naše zaposlene i unapređujemo zdravstveni sistem Republike Srpske“, naglasio je Dr Vlado Đajić - Др Владо Ђајић, generalni direktor UKC Republike Srpske.

„Srećni smo i zadovoljni što danas, drugu godinu, imamo školu atopije, koja je u svijetu prepoznata kao jedan veoma važan edukativni način prije svega za pacijente, odnosno za

roditelje, ukoliko su djeca u pitanju koja imaju atopijski dermatitis, a i za naše kolege koji nisu dermatolozi koji su nam se danas pridružili zato što je u liječenju ove bolesti n eophodna multidisciplinarnost, jer u liječenju atopijskog dermatitisa ne učestvuje samo dermatolog, nego i pedijatar, porodični doktor, nutricionista, a često i psiholog, psihijatar, zato što je to, nažalost, bolest koja nije samo bolest kože, nego ona remeti kvalitet života izazivajući i druge zdravstvene tegobe, tako da je u njenom liječenju potrebno uključiti čitav tim ljekara“, istakla je prof. dr Jagoda Balaban, načelnica Klinike za kožne i polne bolesti.

„Za pedijatra i sa imunološke strane ovo je jako značajan skup zbog imunosupresivne i imunomodularne terapije sve djece sa kojom dolazimo u kontakt. Atopijski dermatitis prvenstveno liječe dermatolozi, međutim, sa imunološke strane potrebna je opservacija ukoliko se radi o imunosupresivnoj i imunomodularnoj terapiji“, istakao je dr Želimir Erić, pedijatar i imunolog iz Klinike za dječje bolesti UKC RS.

„Čast mi je da zajednički radimo i evo, već drugu godinu zaredom, sam ovdje kao gost. Atopijski dermatitis je najuže područje s kojim se ja bavim i to je jedna kronična upalna bolest kože koja ima svoje faze pogoršanja i poboljšanja, a baza dobrog liječenja atopijskog dermatitisa je dobra edukacija roditelja i dobra edukacija pacijenata. Tek onda kada znaju što bolest jest i koju terapiju imaju na raspolaganju, koji su mogući neželjeni i željeni učinci terapije, onda mogu pristupiti ispravno terapiji. Zato stvarno velika pohvala za školu atopije, to su integrativni strukturirani programi koji objedinjuju timove stručnjaka različitih specijalnosti. Vidjeli smo koliki je interes roditelja upravo za školom atopije, koliko smo pitanja dobili sada nakon prvog seta predavanja, tako da hvala cijelom timu što su me pozvali kao gosta“, izjavila je dr Nives Pustišek, supspecijalista dječje dermatologije.

Posjeta Prvoj hirurškoj klinici u Beogradu

Razvijajući uspostavljenu stručnu, toplu i iskrenu saradnju sa našom maticom, edukativnom bazom Prvom hirurškom klinikom UKC Srbije u organizaciji glavne sestre Klinike mastera zdravstvene njege Željke Ćetković, načelnika Klinike prof. dr Zorana Aleksića i doc. dr Danijela Galuna, šefa VII odeljenja za hepato-bilio-pankreatičnu hirugiju i predsjednika Udruženja endoskopskih hirurga Srbije, organizovana je prva sestrinska posjeta Prvoj hirurškoj klinici u Beogradu,18.10. 2024. godine.

Naše prijatelje posjetile su Željka Ćetković, glavna sestra Klinike, Jelena Tešanović, nadzorna sestra Odjeljenja za laparoskopsku hirurgiju, Nađa Grujičić, sestra u Odjeljenju

za hepatobilijarnu i pankreasnu hirurgiju, Dijana Dubočanin, sestra u Odjeljenju za ezofagogastričnu i intestinalnu hirurgiju.

Po dolasku u Prvu hiruršku kliniku, našu sestrinsku delegaciju dočekala je glavna sestra Prve hirurške klinike Dušica Biočanin. Nakon prijatnog dočeka u pratnji domaćina, glavnih sestara svih odjeljenja Prve hirurške klinike i

doc. dr Danijela Galuna, naša sestrinska delegacija obišla je svih osam odjeljenja Prve hiruršle klinike i Urgentni centar, gdje su u razgovoru i međusobnoj diskusiji razmijenili naša i njihova iskustva u procesu pružanja zdravstvene njege hirurškim pacijentima. Posjeta je bila edukativnog karaktera sa ciljem bližeg i prisnijeg kolegijalnog upoznavanja,

edukativnog u smislu uvida u načine i modalitete pružanja zdravstvene njege u ovoj velikoj hirurškoj kući, koja svakako ima svoje specifičnosti, jer se u ovoj renomiranoj ustanovi radi vrhunska hirurgija, a i zdravstvena njega ima svoje specifičnosti, koje su veoma važne i mogu se primijeniti u našoj ustanovi.

Klinika za opštu i abdominalnu hirurgiju se zahvaljuje generalnom direktoru prof. dr Vladi Đajiću na razumijevanju i podršci za aktivnosti koje klinika preduzima u cilju unapređenja pružanja zdravstvene njege našim pacijentima.

Njihova uzvratna posjeta našem Univerzitetskom kliničkom centru planirana je za 27.12.2024. godine, kada će se za medicinske sestre sa hirurških odjeljenja koja se bave minimalno invazivnom hirurgijom održati edukativni sertifikovani seminar o ERAS protokolu za medicinske sestre.

Dr Igor Krdžić, instruktor laparoskopije

Klinika za opštu i abdominalnu hirurgiju ugostila je dr med. Igora Krdžića iz Srbije koji se bavi laparoskopskom hirurgijom upalnih bolesti crijeva. On je član predsjedništva Udruženja endoskopskih hirurga Srbije, instruktor laparoskopije te se intenzivno bavi laparoskopskom hirurgijom upalnih bolesti crijeva. Upalne bolesti crijeva /Morbus Crohn i Ulcerozni kolitis/ su veoma ozbiljna i kompleksna oboljenja koja traže multidisciplinarni pristup. Liječe se na gastroenterologiji, a kad konzervativne metode budu iscrpljene liječenje preuzima hirurgija.

Hirurško liječenje otvorenom metodom izvode naši hirurzi, a laparoskopska metoda koju radi dr Krdžić do sad nije rađena u našoj ustanovi. U okviru boravka, zajedno sa našom ekipom uradio je laparoskopsku operaciju totalnog odstranjenja debelog crijeva sa formiranjem „J“ pauča /rezervoara/ od završnog dijela tankog crijeva. Ova operacija je prvi put izvedena laparoskopski u UKC Republike Srpske.

Nakon operacije dr Igor Krdžić održao je predavanje na temu LAPAROSKOPSKA HIRURGIJA U ULCEROZNOM KOLITISU.

„Klinika za opštu i abdominalnu hirurgiju u sklopu svog strateškog razvoja, a zahvaljujući dobroj saradnji i komunikaciji sa UKC Srbije, je ugostila dr med. Igora Krdžića iz Srbije koji je jedan od najboljih doktora na ovom polju. Zahvaljujem se generalnom direktoru UKC Republike Srpske prof. dr Vladi Đajiću koji nas podržava i omogućava edukacije i saradnje sa

drugim ustanovama te hvala dr med. Igoru Krdžiću što se odazvao pozivu i došao. Ovo je početak dvosmjerne saradnje. Ova operacija koja se izvodi klasičnim, otvorenim putem od sada se radi i laparoskopski“, naglasio je prof. dr Zoran Aleksić, načelnik Klinike za opštu i abdominalnu hirurgiju.

“Inflamatorne bolesti crijeva su hronične progresivne bolesti koje kada se ne liječe dovode do mnogih komplikacija. Jedna od ozbiljnijih komplikacija su pojave malignih alternacija. Mi se borimo i pomažemo pacijentima koji su oboljeli od ovih bolesti. Imamo široku paletu lijekova, biološku terapiju i u velikom procentu

uspijevamo da zaustavimo te bolesti u prvim fazama kada nema komplikacija. Postoji određeni broj pacijenata koji na tu terapiju ne reaguju, kod njih bolest napreduje, i tada se mora pristupiti hirurškom liječenju“, rekao je dr Aleksandar Dobrovoljski, šef Odjeljenja gastroenterologije Klinike za unutrašnje bolesti.

„Ideja naše saradnje je da se u perspektivi formira ozbiljan multidisciplinarni tim koji bi se bavio inflamatornim oboljenjima creva – Kronovom bolesti i ulceroznim kolitisom. Naravno da je dominantno lečenje koje sprovode gastroenterolozi, ali kada dođe vreme za hirurgiju, onda to lečenje treba da se uradi na način onako kako se radi svuda u svetu. Trenutno je minimalno invazivni pristup ono što predstavlja zlatni standard u hirurškom tretmanu ovih pacijenata i to je ono što smo mi danas

uradili. Nebrojene su prednosti ovog pristupa i to će se u budućnosti raditi i u UKC Republike Srpske. Sada ćemo dvosmernom saradnjom obezbediti uslove za to. Hvala svima“, rekao je dr Igor Krdžić.

Prof. dr Vlado Đajić na sajmu u Dizeldorfu

Generalni direktor UKC Republike Srpske prof. dr Vlado Đajić, zajedno sa kolegama, boravio je u Njemačkoj na Sajmu medicinske opreme. Sajam koji se održava u Dizeldorfu jedan je od najvećih sajmova medicinske opreme na svijetu.

„Naše opredjeljenje jeste da pratimo nove dijagnostičke i terapijske procedure i da ih primjenjujemo kod nas u UKC Republike Srpske, što smo u velikom broju slučajeva i uspjeli. Ponosan sam na činjenicu da ne po-

stoji aparat ili oprema koju mi već nemamo u UKC RS. Jedna od rijetkih je robotska hirurgija, a ovdje smo bili u prilici da pregovaramo sa mnogim proizvođačima i tražimo mogućnost primjene robotske hirurgije u Republici Srpskoj i Banjaluci za dobrobit naših pacijenata“, rekao je prof. dr Vlado Đajić.

Rukovodstvo UKC Republike Srpske na čelu sa prof.dr Vladom Đajićem konstantno edukuje svoje doktore, unapređuje zdravstveni sistem i nabavlja nove aparate kako bismo

pružili najbolju zdravstvenu zaštitu za naše pacijente.

Klinika za anesteziju i intenzivno liječenje UKC Republike Srpske

Škola regionalne anestezije

Klinika za anesteziju i intenzivno liječenje UKC Republike Srpske 11. novembra je organizovala za svoje ljekare Školu regionalne anestezije. Predavači su bili eminentni stručnjaci i profesori iz oblasti anesteziologije i terapije bola iz Amerike. Prvi dio radionice je bio teorijski gdje su obrađene teme iz regionalne anestezije. Drugi dio se odnosio na radionicu, gdje su predavači prikazali regionalne blokove pod ultrazvukom, a potom su učesnici imali priliku da vježbaju pod nadzorom predavača. Zahvaljujući zalaganju generalnog direktora prof. dr Vlade Đajića, ulažu se maksimalni napori u edukaciju osoblja, unapređenje usluga kako bismo ojačali naš zdravstveni sistem.

„Zahvaljujem se našim gostima i doktoru Draganu Rakanoviću što su danas kod nas i edukuju naš kadar. Ovo je još jedan internacionalni uspjeh UKC Republike Srpske. Dokazali smo da smo jedna od većih internacionalnih ustanova ne samo u Bosni i Hercegovini, nego i u regionu. Danas je kod nas u radnoj posjeti šest eminentnih stručnjaka iz prestižnih ustanova Sjedinjenih Američkih Država kako bi zajedno sa našim anesteziolozima izvršili edukacije naših ljekara. Dogovorili smo međusobne edukacije. Naše opredjeljenje jeste saradnja sa svim prestižnim ustanovama u Evropi i svijetu“, naglasio je prof. dr Vlado Đajić, generalni direktor UKC Republike Srpske.

„Veoma sam srećna i zadovoljna što sam sa grupom eminentnih stručnjaka u UKC Repubublike Srpske. Posebno me raduje što ćemo imati priliku da zajedno učimo sa našim kolegama iz Banjaluke“, rekla je prof. dr Džinlei Li iz Univerziteta Jejl iz SAD.

“Mi nastavljamo dalje stručno osposobljavanje i unapređenje naših vještina, uz podršku prof. dr Vlade Đajića i Poslovodstva UKC Republike Srpske. Ovdje sa nama su eksperti iz oblasti regionalne anestezije što su posljednji trendovi perioperativne medicine i anesteziologije. Pratimo svjetske trendove, želimo da ih unaprijedimo kako bismo našim pacijentima pružili maksimalnu njegu. Zadovoljstvo je da možemo da ugostimo ovako eminentne stručnjake i nije bilo lako ni jednostavno ova imena dovesti u Banjaluku. Zahvaljujući našim konekcijama sa prof. Veličkovićem, uspjeli smo da dovedemo najbolje ljekare u našu ustanovu”, rekao je dr Dragan Rakanović, načelnik Klinike za anesteziju i intenzivno liječenje.

Salcburg, 12.11.2024.

Dr Dušan Milanović, specijalizant treće godine kardiohirurgije UKC Republike Srpske, učestvovao je prethodne nedelje na OMI trening seminaru koji je održan u Salcburgu.

Naš stručnjak osvojio je prvo mjesto na testiranju praktičnog i teoretskog znanja iz oblasti kardiohirurgije.Seminar je održan u organizaciji Cleveland klinike, a u takmičenju su učestvovala 33 specijalizanta iz 22 zemlje širom svijeta.

Kampanja:

Uppsala Monitoring Centre-a “#MedSafetyWeek”

Farmaceuti Kliničke apoteke Univeritetskog kliničkog centra Republike Srpske pridružili su se kampanji Uppsala Monitoring Centre-a “#MedSafetyWeek” koja se sprovodi u periodu od 4-10. novembra 2024. godine, pod sloganom „Prevencija neželjenih pojava lijekova.“

U kampanji učestvuje i Agencija za lijekove i medicinska sredstva Bosne i Hercegovine (ALMBIH) u čijem sastavu se nalazi i Nacionalni centar za farmakovigilancu Bosne i Hercegovine. Organizator zajedno sa regulatornim tijelima za lijekove i nacionalnim centrima za farmakovigilancu širom svijeta promovišu prijavljivanje sumnji na neželjena djelovanja lijekova.

Cilj kampanje je podići svijest o važnosti aktivnog nadzora nad upotrebom lijekova, promovisati prepoznavanje i prijavljivanje neželjenih reakcija nastalih tokom upotrebe lijekova te prevenciju nastanka neželjenih djelovanja lijekova.

Edukacija sanitarnih inženjera

Sekcija sanitarnih inženjera je u sklopu redovne edukacije Udruženja medicinskih sestara, tehničara i babica održala 27. novembra predavanja sa ciljem prevencije intrahospitalnih infekcija. Teme predavanja su

snija i najjeftinija mjera prevencije nastanka i širenja intrahospitalnih infekcija je higijena ruku pranjem ili dezinfekcijom. Značajna je i izolacija pacijenata koji dolaze iz drugih zemalja i bolnica, socijalnih ustanova i slično, kao i dekolonizacija pacijenata u slučaju pozitivnih briseva. Edukaciji je prisustvovalo oko 40 medicinskih sestara tehničara.

bile: Higijena ruku u prevenciji IHI Skrining i dekolonizacija pacijenata kolonizovanih multirezistentnim bakterijama.

Intrahospitalna infekcija (IHI) se definiše kao bolest koja se razvila nakon 48 sati boravka u bolnici, a nije postojala niti je bila u fazi inkubacije u momentu prijema u bolnicu. Procjena je da se bolničke infekcije javljaju kod 5-10% hospitalizovanih bolesnika. Najefika-

Stručni sastanak kardiologa i kardiohirurga

UUKC Republike Srpske održan je stručni sastanak kardiologa i kardiohirurga, posvećen podizanju svijesti o zatajenju srca. Eminentni stručnjaci ovom prilikom razgovarali su o dosadašnjim iskustvima liječenja terminalne faze srčane slabosti, preoperativnoj pripremi i optimizaciji pacijenata kod terminalne faze srčane slabosti, savremenoj dijagnostici srčane insuficijencije kao i o kandidatima za transplantaciju.

„Veliko hvala profesoru Putniku i profesoru Markoviću i mojim kolegama sa Kardiologije i Kardiohirurgije. UKC Republike Srpske prati trendove u dijagnostici i terapiji iz svih oblasti. Danas sam presrećan što započinjemo novu eru, eru mogućnosti ugradnje srčane vještačke pumpe kod pacijenata kod kojih je potrebna transplantacija, a nismo u mogućnosti da nađemo donora, odnosno prirodno srce. Nadam se da ćemo uskoro, uz pomoć cijenjenih kolega iz Srbije, krenuti sa ovom operacijom u Republici Srpskoj. Hvala još jednom mojim kolegama i gostima“, rekao je prof. dr Vlado Đajić.

„Danas ispisujemo istoriju kardiovaskularne medicine Republike Srpske. Iza nas je puno učenja, ulaganja, svega što su Vlada i predsjednik Republike Srpske obezbijedili. Mi kao struka trudili smo se da učimo, radimo i da unapređujemo. Danas govorimo o ugradnji srčane pumpe kod onih ljudi koji su kandidati za transplantaciju ali, nažalost, svi ti ljudi ne mogu dočekati da dožive transplantaciju. Razgovorali smo o tome koje dijagnostičke metode su potrebne kod tih pacijenata. U mogućnosti smo sve da uradimo u UKC Republike Srpske. Kardiohirurgija se do te mjere razvila za ove dvije godine da danas razgovaramo o ovoj izuzetno komplikovanoj

operaciji. Zahvaljujem se profesoru Putniku i profesoru Markoviću koji su izdvojili vrijeme i došli ovdje. Razmatrali smo konkretne pacijente koji imaju indikacije za ovu operaciju koju ćemo u najskorijem vremenu izvesti u Klinici za kardiohirurgiju“, rekla je prof. dr Tamara Kovačević Preradović, načelnica Klinike za kardiologiju. „Ovo je samo nastavak saradnje koju naše dve ustanove imaju dugi vremenski period. Družimo se, sarađujemo, razmenjujemo isku-

stva, učimo jedni od drugih. Veliko mi je zadovoljstvo što ćemo imati priliku da ovde u Republici Srpskoj pomažemo ljudima koji imaju terminalnu srčanu slabost. U UKC Republike Srpske imamo Kardiohirurgiju i Kardiologiju koje su na vrhunskom nivou i mogu da zadovolje potrebe najkompleksnijih procedura koje mi planiramo da radimo. U tom duhu smo i danas imali sastanak i predavanja. Nadam se da ćemo u najskorijem vremenskom periodu početi sa ovim najtežim procedurama u smislu ugradnje mehaničke podrške, cirkulacije i transplan-

tacije srca“, rekao je prof. dr Svetozar Putnik. „Moram da se zahvalim profesorima Putnku i Markoviću iz KC Srbije , kao i profesoru Đajiću i mojim kolegama. Otvaranje Kardiohirurgije je upravo donijelo mogućnost da se bavimo kompleksnijim pacijentima koji imaju jako lošu prognozu i životno su ugroženi. Riječ je o jako skupom aparatu, skupoj pumpi i imamo obećanje iz Kabineta predsjednika da će snositi troškove ugradnje ove jedne pumpe. Nadam se da u narednoj godini možemo da očekujemo prvu ugrađenu pumpu kod pacijenta iz Republike Srpske u Klinici za kardiohirurgiju UKC Republike Srpske. To je pokazatelj koliko smo narasli i razvili se ne samo Kardiohirurgija, već UKC Republike Srpske“, rekao je dr Nikola Šobot, načelnik Klinike za kardiohirurgiju.

Danas na konferenciji za medije se obratio pacijent Goran Račić kome je prof. dr Putnik transplantirao srce prije godinu dana u Beogradu. Iskoristio je priliku da se zahvali prof. dr Svetozaru Putniku kao i medicinskom osoblju Univerzitetskog kliničkog centra Republike Srpske.

Prvi kongres Srpskog udruženja urgentne hirurgije

Delegacija Klinike za opštu i abdominalnu hirurgiju na Prvom kongresu Srpskog udruženja za urgentnu hirurgiju /SSES/ je uspješno predstavila Kliniku i naš UKC Republike Srpske na Prvom međunarodnom kongresu kojeg je organizovalo Srpsko udruženje urgentne hirurgije. Predstavnici delegacije Klinike bili su:

prof. dr Zoran Aleksić, načelnik Klinike, dr Zoran Aničić, dr Nenad Jaćimović, dr Srđan Krejić, dr Nikola Vranješ, dr Marko Vujmilović, dr Dragan Vuković, master zdravstvene njege Željka Ćetković, glavna sestra Klinike, dr Mirjana Bilčar, Urgentni centar.

Kongres je organizovan u Beogradu u Hotelu „Crown Plaza“ od 22.11. do 24.11.2024. godine. Učestvovala su 153 predavača kroz 15 sesija sa preko 500 učesnika. Učestvovali su ljekari iz gotovo svih bolnica u Srbiji, hirurzi iz Republike Srpske (UKC RS, KB Foča,OB

Nevesinje,OB Doboj,OB Prijedor) FBiH / UKC Tuzla/, urgentni hirurzi iz Finske, Izraela, Španije,Turske, Švedske, Italije, Grčke, Njemačke, Rumunije.

Klinika za opštu i abdominalnu hirurgiju je učestvovala sa dva rada za usmenu prezentaciju - dr Zoran Aničić: Surgical tretment of severe injury to the liver, duodenum, mesenteris blood vessels at pancreas caused by a traffic accident i dr Milan Popović: Abdominal trauma - The experiences of the General and Abdominal Surgery Clinic at UKC RS.

Dva rada za poster prezentaciju pripremio je dr Dragan Tomić sa ekipom Odjeljenja za hepatobilijarnu i pankreasnu hirurgiju Spontaneus ruptured hepatocellular carcinoma, Atypical liver resection in tretment of hepatis abcess

Načelnik Klinike prof. dr Zoran Aleksić učestvovao je u predsjedništvu sesije: Masters in the challenge.

Na otvaranju kongresa, predsjednica udruženja dr Krstina Doklesić Vasiljev, predsjednik Svjetskog uduženja za urgentnu hirurgiju Fausto Catena (Italija) i ministar zdravlja Republike Srbije prof. dr Zlatibor Lončar obratili su se svim prisutnim učesnicima, a hor studenata Medicinskog fakulteta uljepšao je pjesmom ovaj veličanstven događaj. Kongres je Ministarstvo zdravlja Republike Srbije proglasilo međunardnim kongresom. Sesije su se održavale u četiri kongresne sale. U okviru kongresa organizovana je i sestrinska sesija sa 31 predavanjem

na kojima je prisustvovala glavna sestra Klinike Željka Ćetković.

Nakon dva naporna radna dana domaćin kongresa, predsjednica udruženja, orgnizovala je svečanu večeru za sve učesnike na kojoj su proglašeni najbolji predavači i radovi. Među tri najbolja predavanja i rada je i rad našeg dr Zorana Aničića, koji je dobio nagradu, besplatne kotizacije i smještaj za Evropski kongres urgentne hirurgije u Rumuniji 2025. godine.

Delegacija Klinike za opštu i abdominalnu hirurgiju je imala priliku da upozna veliki broj učesnika te su razmijenili iskustva, stekli nove prijatelje, ostvarili nove kontakte, dostojanstveno i sa uspjehom prezentovali ne samo Kliniku, već i našu instituciju. To dokazuje i rad koji je od 157 proglašen među tri najbolja.

Klinika za opštu i abdominalnu hirurgiju koristi ovu priliku da čestita dr Zoranu Aničiću i zahvaljuje se generalnom direktoru prof. dr Vladi Đajiću na podršci za ovakav vid usavršavanja i promocije ne samo Klinike, već i UKC Republike Srpske.

Treća škola ultrazvuka u ginekologiji i akušerstvu “Primarijus Petar Ristić”

Održana je Treća škola ultrazvuka u ginekologiji i akušerstvu “Primarijus Petar Ristić ” u organizaciji Klinike za ginekologiju i akušerstvo UKC Republike Srpske i „Bavariamed“-a koja je pružila svu tehničku podršku. Škola UZ je okupila eminentne ginekologe i stručnjake iz ove oblasti iz regiona, a polaznici su bili i specijalizanti i specijalisti. Škola je dobila ime po prim. dr Petru Ristiću, koji se prvi počeo baviti ultrazvukom kako u Banjaluci, tako i u Bosni i Hercegovini. Riječ je o ljekaru koji je ovu metodu prvi primjenjivao u bivšoj Jugoslaviji nakon što je završio edukaciju u Zagrebu kod prof. dr sc. med. Asima Kurjaka.

Cilj ove edukacije je sticanje bazičnih znanja i unapređenje postojećih znanja i iskustava kao i sticanje najnovijih saznanja iz ultrazvuka u što efikasnijoj upotrebi ove dijagnostičke metode. Ovakvi sastanci i skupovi su neophodni iz razloga da medicinski profesionalci, koji nemaju pristup najnovijim saznanjima,

mogu da čuju od onih koji imaju pristup šta je to novo, jer se znanja u ovoj oblasti vrlo često obnavljaju i rastu. Bez obzira na veliko iskustvo koje ima svaki iskusan ginekolog, na predavanjima se čulo dosta novih informacija. Svi polaznici će polagati test na osnovu čijih rezultata će dobiti sertifikat.

Otvaranju škole ultrazvuka prisustvova-

li su prof. dr Vlado Đajić, generalni direktor UKC Republike Srpske, prof. dr Vesna Ećim Zlojutro, načelnik Klinike za ginekologiju i akušerstvo UKC-a, i Borislav Petković, predstavnik “Bavariamed-a“.

Kongres

neurologa Srbije

Generalni direktor UKC Republike Srpske prof. dr Vlado Đajić sa kolegama prisustvuje XX kongresu Društva neurologa Srbije sa međunarodnim učešćem, koji se održava u Beogradu.

„Veliko je zadovoljstvo prisustvovati sa ljekarima neurolozima iz UKC Republike Srpske na Kongresu neurologa Srbije sa međunarodnim učešćem. Takođe mi je posebno drago vidjeti se, a i razmijeniti iskustva, sa direktoricom KC Srbije, direktoricom bolnice ’Sv. Sava’, načelnikom neurologije VMA i ostalim kolegama iz Srbije, Republike Srpske i Federacije BiH“, izjavio je generalni direktor prof. dr Vlado Đajić.

Edukacija gipsera

Gipseri Urgentnog centra UKC Republike Srpske Jovan Bogdanović i Nedim Hotilovac učestvovali su 20. novembra na edukaciji u Kliničkom bolničkom centru Osijek koju je organizovala Udruga medicinskih tehničara gipsera HUMS. Kurs na kojem je učestovalo 17 predstavnika ustanova iz Hrvatske, BiH i Srbije, bio je posvećen izradi gipsane longete i sastojao se iz teoretskog i praktičnog dijela te razmjene iskustava.

Polaznici su unaprijedili svoje vještine koje će kasnije primijeniti u radu sa pacijentima. Ovakve edukacije ukazuju na važnost ove struke koja je posvećena učenju i konstantnom usavršavanju, a sve za dobrobit zajednice i pacijenata.

Svjetski dan dijabetesa

Odjeljenje za endokrinologiju UKC Republike Srpske i Udruženje endokrinologa i dijabetologa Republike Srpske ove godine su tradicionalno obilježili „Svjetski dan borbe protiv šećerne bolesti“, koji predstavlja najveću svjetsku kampanju posvećenu podizanju svijesti društva o značaju šećerne bolesti. Tema ovogodišnjeg Svjetskog dana dijabetesa glasi „Osnaživanje globalnog zdravlja“. Naši medicinski profesionalci su svim zainteresovanim građanima omogućili besplatno mjerenje nivoa šećera u krvi i mjerenje krvnog pritiska u Centralnom holu UKC Republike Srpske.

Prof. dr Zvezdana Rajkovača, pomoćnik generalnog direktora za medicinske poslove, istakla je da je broj oboljelih u svijetu od šećerne bolesti više od 500 miliona i trendovi pokazuju da se broj oboljelih povećava te da će do 2023. godine biti oko 650 miliona oboljelih u svijetu.

„Statistika pokazuje da svakih pet sekundi na svjetskom nivou jedan stanovnik umre od po-

sljedica šećerne bolesti. To je podatak koji nas zabrinjava, ali ove akcije su značajne za stanovništvo Republike Srpske i ne bi samo ovaj dan trebalo da govorimo o šećernoj bolesti nego to treba da bude naša svakodnevica, da se priča o zdravoj ishrani i o faktorima rizika. Naša ustanova podržava sve akcije koje imaju za cilj prevenciju šećerne bolesti“, naglasila je prof. dr Zvezdana Rajkovača.

Prof. dr Aleksandra Marković, predsjednik Udruženja endokrinologa i dijabeteologa Republike Srpske i ljekar Odjeljenja za endokrinologiju i dijabetologiju Republike Srpske, se prije svega zahvalila kolegama, UKC Republike Srpske, studentima Medicinskog fakulteta na podršci da se obilježavanje ovog dana organizuje na ovaj način u našoj ustanovi.

Cilj ove kampanje je da se probudi svijest kako u javnosti, tako i kod pacijenata koji imaju šećernu bolest o značaju ovog oboljenja jer se desi da mnogi imaju šećernu bolest, a ona nije prepoznata na vrijeme. Na jednog dijagnostikovanog pacijenta imamo jednog koji nije dijagnostikovan. Kad je u pitanju dijabetes vrijedi pravilo polovine, odnosno pola pacijenata ima otkrivenu bolest, a pola ne. Takođe, kod polovine kojoj je diganostikovana bolest, polovina nije dobila terapiju na vrijeme ili koriste neadekvatnu terapiju.

„Cilj ovakve akcije je da se podstaknu oni koji nemaju šećernu bolest, a koji su u riziku da ga dobiju, da se barem jednom godišnje jave na mjerenje i kontrolu šećera u krvi. Rizične kategorije, prije svega oni koji u svojim porodicama imaju oboljele od šećerne bolesti, zatim gojazni pacijenti, stariji od 45 godina, trudnice koje su nekada imale bilo koji poremećaj vezano za šećer, lica sa visokim pritiskom i povišenom masnoćom. Dijabetes, bolest savremenog doba,

sa trendom rasta u budućnosti. Prema podacima sa kojima raspolaže ovo udruženje u Republici Srpskoj incidenca oboljenih je oko 10 odsto, od toga najviše u Doboju, pa Banjaluci. Na osnovu toga možemo zaključiti da je od dijabetesa u Republici Srpskoj oboljelo oko 70.000 lica“, rekla je prof. dr Aleksandra Marković.

Pacijentkinja Nevenka Bodiroža se zahvalila medicinskim radnicima UKC Republike Srpske na ovakvim akcijama. „Kod mene je izmjeren šećer 6,1 i moram se pridržavati pravilne ishrane. Građani svake godine treba da posjećuju ovakve akcije jer bolje svaku bolest otkriti na vrijeme kako bi liječenje bilo efikasnije“, istakla je Nevenka Bodiroža.

Na inicijativu Međunarodne federacije za dijabetes i Svjetske zdravstvene organizacije Svjetski dan borbe protiv dijebetesa obilježava od 1991. godine svake godine 14. novembra.

Klinika za opštu i abdominalnu hirurgiju

U posjeti UKC Maribor

Delegacije Klinike za opštu i abdominalnu hirurgiju i Službe operacionih sala bile su u posjeti 11.12. i 12.11.2024?????. godine UKC Maribor.

U delegaciji UKC Republike Srpske bili su prof. dr Zoran Aleksić, načelnik Klinike za opštu i abdominalnu hirurgiju, mr zdravstvene njege Željka Ćetković, glavna sestra Klinike, Dušan Bodiroga medicinski tehničar, Dragana Kralj, Nina Todić, Dobrila Milašinović, medicinske sestre, Mirjana Barišić, odgovorna sestra-tehničar, i Milica Džombić, medicinska sestra instrumentar.

Našu delegaciju dočekao je prim. dr Nikica Andromako, hirurg iz Banjaluke, koji već 25 godina radi u UKC Maribor, te načelnik Klinike za abdominalnu i opštu hirurgiju, prim. prof. dr Stojan Potrč, glavna sestra Klinike Renata Vrščaj i Igor Robert Roj, glavni medicinski tehničar hirurških klinika UKC Maribor.

UKC Maribor je predstavio rad Klinike i pokazali su kako njihova klinika radi i funkcioniše, koliki je smještajni kapacitet, kako pružaju zdravstvenu njegu te sa kojim problemima se oni susreću.

Ekipa Klinike za opštu i abdominalnu hirurgiju provela je nekoliko sati u obilasku Klinike, vidjela način njihovog rada i funkcionisanja, razmijenila iskustva sa osobljem UKC Maribor i upoznala se sa nekim pojedinostima i novitetima koji su kod njih standard, a u našem UKC Republike Srpske mogu unaprijediti kvalitet zdravstvene njege. Hronični problem je nedostatak medicinskih sestara, kao i kod nas. Instrumentarke i načelnik Klinike proveli su nekoliko sati u operacionim salama, gdje su prisustvovali izvođenju nekoliko operativnih zahvata. Imali su priliku da vide način funkcionisanja njihovih operacionih sala, način rada, nekoliko noviteta koje će sigurno u narednom periodu primijeniti u operacionim salama.

Ova posjeta je bila uspješna, konsultativna, edukativna te su se dodatno učvrstile i ojačale veze UKC Republike Srpske sa UKC Maribor. Osoblje Klinike za opštu i abdominalnu hirurgiju se zahvaljuje generalnom direktoru UKC Republike Srpske prof. dr Vladi Đajiću na razumijevanju, nesebičnoj podršci te ulaganju u edukaciju osoblja i razvoju zdravstvenog sistema.

Internacionalni dan radiologije

Svake godine 8. novembra radiolozi i radiološki tehnolozi i profesionalci koji su usko povezani sa ovom granom obilježavaju Internacionalni dan radiologije širom svijeta. Internacionalni dan radiologije je godišnji događaj koji se održava sa ciljem podizanja svijesti o tome koliko radiologija doprinosi bezbjednijoj njezi pacijenta i poboljšanju razumijevanja vitalne uloge radiologa i radioloških tehnologa u lancu zdravstvene zaštite.

Evropsko udruženje radiografera (European Federation of Radiographer Societies-EFRS) i Svjetsko udruženje radiografera i radioloških tehnologa (International Society of Radiographers and Radiological Technologists - ISRRT) gdje je Udruženje radioloških tehnologa Republike Srpske ravnopravni član istih, takođe podržavaju Internacionalni dan radiologije.

Ove godine, zaposleni u Zavodu za kliničku radiologiju UKC Republike Srpske promovišu uticaj radiologije i svoju struku, a sve sa ciljem ranog otkrivanja bolesti i stanja kod oboljenja dojke, te bezbjednost i brigu za pacijenta prilikom izvođenja dijagnostičkih procedura.

Članovi koji su zaposleni u Univerzitetskom kliničkom centru Republike Srpske su danas iskoristili priliku da, ne samo promovišu radiologiju i radiološke tehnologije već i da približe ovu osjetljivu temu zaposlenima u UKC Republike Srpske.

Predvanja su održali: Specijalista radiolog dr Dijana Mikić - Bolesti dojke, BI - RADS klasifikacija promjena, radiološki tehnolog Bojana Topić - Savremene dijagnostičke metode u dijagnostikovanju oboljenja dojke i uloga radiološkog tehnologa.

29. oktobar 2024.

Svjetski dan borbe protiv moždanog udara

Moždani udar je naglo nastali neurološki poremećaj uzrokovan poremećajem moždane cirkulacije, zbog čega dolazi do nedovoljnog snabdijevanja određenih dijelova mozga kiseonikom i hranjivim materijama, što uzrokuje oštećenje i odumiranje nervnih ćelija u dijelovima mozga, što ima za posljedicu oštećenja funkcija kojima ti dijelovi mozga upravljaju. Danas moždani udar predstavlja globalnu epidemiju koja ugrožava živote, zdravlje i kvalitet života.

Faktori rizika na koje se može uticati su: nezdrav način života, pušenje, nezdrava ishrana sa posljedičnom arterijskom hipertenzijom, hiperholesteronemijom, hiperlipidemijom, dijabetesom, fizička neaktivnost, prekomjerna tjelesna težina/debljina, zloupotreba alkohola i droga, uzimanje određenih lijekova, stalne stresne situacije… Najčešći simptomi moždanog udara su: – utrnulost, slabost ili oduzetost lica, ruke ili noge pogotovo ako je zahvaćena jedna strana tijela – poremećaji govora: otežano i nerazumljivo izgovaranje riječi, potpuna nemogućnost izgovaranja riječi i/ili otežano, odnosno potpuno nerazumijevanje govora druge osobe – naglo zamagljenje ili gubitak vida, posebno na jednom oku ili u polovini vidnog polja – naglo nastala jaka glavobolja praćena povraćanjem bez jasnog uzroka – gubitak ravnoteže, omaglice ili vrtoglavice, nesigurnost i zanošenje u hodu, iznenadni padovi povezani s drugim simptomim Svjetska organizacija za moždani udar navodi da će svaka četvrta odrasla osoba u svijetu doživjeti moždani udar tokom svog života. Moždani udar godišnje u svijetu uzrokuje 5,7 miliona smrtnih slučajeva i predstavlja drugi vodeći razlog umiranja u svijetu odmah nakon ishemijske bolesti srca. Svake dvije minute, jedna osoba doživi moždani dar, dok svake minute šest osobe umre od posljedica moždanog udara. Do danas 80 miliona ljudi je imao moždani udar, 50 miliona ih je preživjelo i živi sa nekom vrstom invaliditeta.

Povodom obilježavanja Svjetskog dana borbe protiv moždanog udara, u organizaciji Udruženja građana za kvalitetniji život nakon moždanog udara „M’udar“, u Banskom dvoru održana je panel diskusija koju su podržali medicinski profesionalci iz Klinike za neurologiju UKC Republike Srpske.

Vizija Udruženja građana “M’udar” je da bude spona između osoba koje su doživjele moždani udar, njihovih porodica, osoba u riziku, kao i predstavnika stručne i naučne javnosti i relevantnih institucija u zajednici. Udruženje djeluje na području Republike Srpske, ali i cijele BiH, sa misijom za umrežavanjem na evropskom i svjetskom nivou.

In memoriam

Dr Biljana Lakić

(1968 - 2024)

U Banjaluci je preminula doktor Biljana Lakić, specijalista psihijatrije, psihoterapeut u Klinici za psihijatriju UKC Republike Srpske.

Rođena je 13. avgusta 1968. godine u Banjaluci. Specijalizaciju iz psihijatrije završila je na Medicinskom fakultetu Univerziteta u Novom Sadu 1996. godine.

U Univerzitetskom kliničkom centru Republike Srpske, u Klinici za psihijatriju, radila je od 1998. godine.

Od 2010. do 2023. godine radila je u Projektu mentalnog zdravlja u Bosni i Hercegovini, kao i Institutu za populaciju i razvoj.

Učestvovala je na brojnim psihijatrijskim simpozijumima, kongresima i stručnim sastancima u okviru kontinuirane medicinske edukacije, takođe, prošla je dodatne obuke u oblasti mentalnog zdravlja u zemlji i inostranstvu.

Godine 2006. imenovana je za nacionalnog koordinatora za mentalno zdravlje Republike Srpske i SZO kontakt osobu za mentalno zdravlje u Republici Srpskoj, BiH. Od tada je učestvovala u brojnim aktivnostima Ministarstva zdravlja i socijalne zaštite u Vladi Republike Srpske i drugih partnera u vezi sa procesima reforme mentalnog zdravlja u BiH.

Imenovana je 2010. godine za nacionalnu koordinatorku za mentalno zdravlje za Bosnu i Hercegovinu u Zdravstvenoj mreži jugoistočne Evrope (Pakt stabilnosti/SEEHN)

Magistarsku tezu odbranila je 2015. godine na Univerzitetu u Banjaluci.

Autor je i koautor brojnih publikacija. Sahranjena je 2. novembra 2024. godine u 14:00 časova na Perduvovom groblju u Banjaluci.

UBanskom dvoru, u Banjaluci, 4. novembra 2024. godine, održana je, posthumno, promocija knjige DRVO SLIKANO REČIMA prof. Tihomira Levajca, u kojoj su učestvovali Mirko Vuković, Goran Dakić, Drago Ilić, Nedeljko Milaković i voditelj programa Zoran Šimunović.

Najveća zasluga što je ova knjiga ugledala svjetlost dana imaju porodica prof. Levajca, Miladin Ćulafić, Milenko Gemaljević, Vladimira Stijak Ilisić i drugi prijatelji. Ova knjiga je slika drveta u kojoj su male i velike priče iz njegovog i našeg svekolikog stvarnog života, obojene bojama svjetlosti i tuge kao i svaki život koji živimo.

Iz recenzije Milenka Gemaljevića

Posthumno, promocija knjige prof. Tihomira Levajca

Drvo slikano rečima

donosimo najinteresantnije detalje o knjizi i piscu. Na početku priča stoji kao drvo pitanje. Kako naslikati to drvo kad nije slikar i ne zna malati, pita se Levajac. Srećom, tu su riječi kojima je Levajac majstorski baratao i kad ih je govorio i kad ih je u knjige slagao i kad ih je u rečenice, priče i pričice,

putopise i romane sastavljao. Prvo je slikao lišće i na njima oslikao riječi u vidu kratkih rečenica, koliko na jednom listu može pisanim riječima da stane. Na svakom listu po jedna najkraća priča, da čitaš cijeli dan, koliko su čitljive i za srce i pamet diraju. Poslije lišća, Levajac slika male grane, ogranke takoreći, sa riječima smještenim u male priče iz života. Ređaju se priče, ne zna se koja je životnija, koje svako može da vidi, tako volšebno oslikane živim riječima, tako da može da osjeti tugu koja se u priču ukorijenila i koju je vjetar donio, voda doplavila ili neki veseljak ispričao, lele meni – lele tebi.

A priče iz naroda došle, pa se naredale na grane kao ptice, svaka ima svoju sudbinu, a ima i ime, dok se sit sa svakom ne ispričaš, ne možeš dalje. Kako je slikar riječima majstorski naslikao, ostaneš dugo sa svakom u razgovoru. I tako priča po priča, naslikano je drvo riječima, drvo puno grana – priča kao ljekovitih ruku majčinih. Drvo šljivovito, jabukovito, oslikano riječima – pitanjima. Vrijeme stoji. Ne teče. Dok drvo naslikano riječima pred nama stoji i šumi, najdivnijim srpskim jezikom od kog samo ptice pjevaju ljepše (kako reče naš bard poezije Dobrica Erić) ne čuje se larma ovog svijeta, Tihomir Levajac je u njegovom korijenu zapisan i izvan vremena živi. Tako se on protiv vremena izborio, zaboravu prkosi i vazda u vječnosti boravi.

Poslije ovih riječi, koje su potvrdili u nadahnutom govoru i učesnici u promociji knjige „Drvo slikano rečima“, nama ostaje samo da vam od srca predložimo čitanje ove knjige kako biste priče, koje su ispričane, nastavili i sami, ako ne može drugačije, slikati. Nedeljko Z. Milaković

UCentar robotike Poliklinike „Neuromedic“ u Nišu stigao je najsavremeniji robotski uređaj za rehabilitaciju hoda u svetu. Robot, specijalno dizajniran da pruži robotizovanu rehabilitaciju i kod odraslih i kod dece veoma malog uzrasta - već od tri godine, pušten je u rad.

I Bosna i Hercegovina i zemlje jugoistočne Evrope su ovime dobile mogućnost najsavremenije metode rehabilitacije pacijenata kod teških neuroloških stanja: cerebralne paralize, nakon moždanog udara, povrede kičme, multiple skleroze, paraplegija, kvadriplegija i drugih...

Ovaj robotizovani sistem je specijalno dizajniran da pruži robotiku sva tri ključna zgloba nogu: kuka, kolena i skočnog zgloba i obezbeđuje oporavak hoda i kod najtežih stanja.

Robot prepoznaje kada pacijent ulaže napor za pokret i omogućava mu da aktivno učestvuje u procesu rehabilitacije. Podaci o pokretima i kretanju pacijenata se snimaju i rekonstruišu kroz trodimenzionalne prikaze, tako da se napredak u oporavku hoda može jasno videti.

Pripreme za ovaj projekat trajale su dugo: od posete najznačajnijem sajmu za ovu oblast „MEDICA“ u Dizeldorfu, gde je ovaj najnoviji robot prvi put izložen, preko registracije, do uvoza u Srbiju.

Milan Đurić, direktor Poliklinike „Neuromedic“ izjavio je ovim povodom: „Verujemo da je ovo ogroman korak ne samo za našu ustanovu, već i za neurorehabilitaciju u celoj jugoistočnoj Evropi. Naš novi robotski aparat, jedini u svetu obezbeđuje funkcionalnu robotiku tri ključna zgloba nogu: kuk, koleno i skočni zglob! Ponosni smo što sa ovim robotom jedini možemo pomoći deci sa cerebralnom paralizom u veoma malom uzrastu i visini već od 86 cm, u obnovi potpuno fiziološkog obrasca hoda“.

Poliklinika

„Neuromedic“, Niš Najbolji na svetu egzoskeletni lokomotorni robot za hodstigao u regiju!

Za svu decu koja boluju od cerebralne paralize i za prijave do kraja godine: besplatna procena/pregled profesora fizijatrije, besplatan termin za probnu terapiju na robotu i dodatne pogodnosti i popusti za robotsku rehabilitaciju dece. *****

Poliklinika „Neuromedic“ ove godine obeležava 20-godišnjicu rada i 20.000 zadovoljnih pacijenata. Uz postojećih 17 robota, koji su već u funkciji lečenja pacijenata, može pružiti robotiku celog tela kao malo koji centar robotike u svetu.

Video-snimak: https://www.instagram. com/p/DCGusivIXMR/

Za dodatne informacije: Srba Jovanović, +381 65 5 77 77 22

Dragi naši svi, mislim da je došlo vreme da se sastajemo češće, vreme neumitno prolazi sve brže, o Galileo, rekla je Jasmina Filipović. Naravno, od pomisli do realizacije nije trebalo da se mnogo čeka. Tog dijela posla sam se prihvatila sa velikim zadovoljstvom. Naša kafana, idealna za ta druženja starih provjerenih drugara, prijatelja, familije je „Stara srpska kuća“. Smještena je na granici Novog Beograda i Zemuna iliti Džona Kenedija street N 10p. Kafana rezervisana, ali slijedi prijava, odjava, nemoguće želje, žal za nedolaskom na druženje nekih naših drugara. I konačno se skupismo, nas 20 djevojaka i tri kavaljera Dušan Bijelić, Milimir Košutić i Dragiša Gile Đorđević. Na samom početku druženja Gile je dao divan prijedlog. Dosta je bilo Gaudeamusa, naša himna sada treba da bude samo refren jedne pjesme koju svi znamo i da ga otpjevamo tri puta, a to je:

Kako je dobro vidjeti te opet staviti ruke na tvoja ramena kao nekad, poljubi me nježno za ona dobra, dobra dobra stara vremena!

I tako je krenulo naše veselo druženje. Mi smo, naravno, uvijek smi-

Generacija 1972-1977. Medicinskog fakulteta u Beogradu

Novogodišnje druženje

šljali kako da se osjećamo zajedno u tom prostoru i u tom trenutku i sa onima

da poručujemo omiljene pjesme, red nas prisutnih, red onih koji nisu mogli da dođu za Nenada Lučića, Miloj-

ka Vlaškog, Đorđija Delibašića, Zorana Krstića, Momira Pušca, Boru Gužvića, Maricu Arulu, Gordanu Stanišić i da ne nabrajam više. Nismo osjetili da je prošlo već nekoliko sati, uz pjesmu i igru dočekasmo mrak. Sve je ovo ovjekovječeno i želimo da i druge kolege koje nisu mogle da dođu na ovo ad hoc viđenje dožive dio ove naše atmosfere. Dogovorili smo se da osim obaveznih druženja svake druge subote u junu, već tradicionalnih ekskurzija septembar- oktobar i ovo novouspostavljeno Novogodišnje druženje uđe u naš kalendar prijateljstva.

Pozdrav dragi generacijiski drugari i sve najbolje za nastupajuće Novogodišnje i Božićne praznike.

Vaša Nada Vasić, Beograd, 9.12.2024. godine

koji nisu tu večeras. Počeli smo

Tumačenje natalne karte, informacije na tel. 065 523 036

Uređuje i piše: Snežana Despot Vuletić snezana.despot@ gmail.com

Želim SREĆAN ROĐENDAN svima vama koji ste rođeni u znacima Jarac i Vodolija.

OVAN 20. 3 - 20. 4.

Mars, vaš vladar, do 7.1. iz Lava dodaje energiju, optimizam i volju za postizanjem uspjeha na sceni, ondje gdje ste vidljivi svojim djelovanjem. Neki su se i zaljubili, ali će u periodu januara i februara morati da riješe neka pitanja, sruše neke barijere koje se tiču porodice i porodičnih odnosa da bi kasnije mogli da uživaju u svojoj ljubavi. Sa Venerom u Ribama veza u početku mora biti tajna. Nemojte žuriti da objedinite svoju ljubav, prvo sve prepreke sklonite s puta da bi trajalo. Sa Plutonom u Vodoliji u skladnom aspektu sa Suncem Ovna, naročito rođenih 20-23. marta, imaćete nove ideje i bićete skloni istraživanju novih načina obezbjeđenja finansija kao i udruživanja sa prijateljima radi ostvarenja ciljeva.

BIK 21. 4 - 20. 5.

Bikovima nije bilo lako posljednjih sedam godina sa Uranom u njihovom znaku koji je mijenjao uslove i uticao na ishitrene odluke i uticao na mijenjanje navika.. U ovom periodu rođeni 14-15. maja mogu biti veoma uznemireni, a kod težih natalnih položaja planeta ovo može biti period krize u partnerstvu ili braku ili zdravstvenih problema ili operacija. Sa Plutonom u Vodoliji možete biti izloženi opasnostima i pritiscima na profesionalnom planu, naročito rođeni između 21-23. aprila. Ako su natalne pozicije planeta dobre, ovo je period dubokih promjena nabolje. Možete tokom januara računati na podršku prijatelja i ostvarenje ideja i planova.

BLIZANCI - 21. 5 - 20. 6. Plutonov ulazak u Vodoliju je značajan za sve koji se bave visokim obrazovanjem, bilo da su sad studenti ili profesori. U skladnom aspektu sa Suncem Blizanaca daće veliku moć i uspjeh. Energija Blizanaca sada je skocentrisana na ciljeve i uspjeh, naročito rođenima krajem maja. Otvoriće se i neki putevi za odlazak u inostranstvo ili kontakte i poslove sa strancima. Sa Jupiterom u svom znaku ovo je period prosperiteta i rasta Blizanaca. Rođeni početkom juna mogu pod uticajem Saturna imati razvojnu krizu suočavajući se sa ograničenjima na profesionalnom planu. Tokom januara Venera donosi ljubav, društveni život i zabave.

RAK - 21. 6 - 22. 7. Rakovi mogu biti zabrinuti zbog finansija i to će biti glavna frustacija u ovom periodu koja će se odražavati na ekstremno emotivno reagovanje. Mars je rx hodu tokom januara i februara i postoji sklonost samodestrukciji. Nema veće brige za Rakove od sigurnosti za djecu i porodicu, a ako su u strahu za potrebe porodice javlja se nemir i nervoza koja slabi vitalnost, a zbog bijesa i napetosti lako strada želudac. S obzirom na to da Saturn i Neptun iz Riba prave harmoničan aspekt prema Suncu u Raku, ne treba previše brinuti, već ostati smiren, vjerovati i uložiti trud da se riješe trenutni problemi. A Uran iz Bika doneće iznenadne korisne promjene.

Planetarna konfiguracija na nebu

Dragi prijatelji časopisa „Medici.com“ i ljubitelji astrologije sa Novom, 2025. godinom dolaze i nove energije koje utiču na naše živote. Odavno se nije desilo da u kratkom vremenskom periodu (od novembra 2024. do jula 2025) ovoliki broj sporih planeta mijenja znak u kome su se nalazile do sada. Idemo redom: Pluton je od 20.11.2024. u Vodoliji na period od skoro 20 godina, sa zahtjevom za više slobode, a manje kontrole. Mars do aprila ima dug boravak u znaku Raka s kraćim izletom u znak Lava od 5.11.2024-6.1.2025, Venera će dugo boraviti u znaku Riba, u januaru i aprilu (egzaltirana) sa snažnom potrebom za ljubavlju i emotivnim ispunjenjem, sa izletom u znak Ovna (u padu) od 5.2-27.3. 2025. Ovo je prilika da preispitate svoje ljubavne odnose i vrijednosti, šta vam donosi radost, šta zadržati, a šta pustiti. Neptun već 31.3.2025. po prvi put prelazi u znak Ovna i ostaje do 22.10.2025. noseći energiju novih filozofskih koncepcija i društvene misije koju treba ispuniti u narednom periodu do 2039.godine, a Saturn ga slijedi od 26.5-1.9.2025. da bi se poslije oba još jednom vratila u znak Riba nanekoliko mjeseci, da završe započeto nakon sticanja novih uvida i početaka. Saturn u Ovnu može aktivirati brojne podsvjesne strahove, stvarajući nesigurnost, ali ako dobro kombinujete disciplinu sa inicijativom možete uspjeti sa istrajnošću savladati izazove koje život nosi. Uran iz Bika prelazi u Blizance 8.7-8.11.2025. ali se i on vraća nakratko u Bika krajem godine. Uran će inicirati nove koncepcije u informacijama, elektronici, u obrazovanju i udruživanju pojedinaca zarad humanih ideja koje zastupaju, što će uticati na svakog od nas pojedinačno. Jupiter iz Blizanaca prelazi u Raka 10.6. i ostaje godinu dana. Ovo je odlična pozicija za Jupiter pa će se neki dobro obogatiti dok se drugi snađu u vremenu koje dolazi. Nadam se da će čovječanstvo u narednom periodu raditi u svoju korist, a ne protiv sebe, jer će povoljan aspekt planeta između Ovna i Blizanaca pružiti mogućnost za promjene nabolje stvaranjem uslova za humanijim svijetom u kome živimo.

LAV - 23. 7 - 23. 8. Jupiter vam pomaže da uz pomoć prijatelja ili udruživanje sa ljudima sa kojima imate iste ili slične ciljeve ostvarite planove. Mars u vašem znaku sve do 6. januara daje dodatnu hrabrost i snagu za odlučnu akciju. Već od januara i tokom februara može se pojaviti nesigurnost i nesanica zbog raznih briga. Još ste u fazi raznog prilagođavanja promjenama, koje su se ranije desile, na polju gubitka podrške na koju ste računali. Izdržite još malo, jer dolazi period kada ćete moći povratiti svoju samouvjerenost. Kontrolišite sklonost dramatizovanju i nerviranju, jer to loše utiče na srce i pritisak, naročito kako je Pluton u opoziciji sa vašim znakom.

DJEVICA - 24. 8 - 22. 9. Merkur je u direktnom kretanju kroz tri znaka do 20. februara i utiče na promjenu fokusa interesovanja. U januaru je pažnja usmjerena na finansije i podršku, što možete ostvariti uspješnim dogovorima i pregovorima. Moguća su i kraća putovanja. Tokom februra može biti pojačana nervoza zbog nekih poteškoća koje ima bračni partner. Zbog pretjerivanja u jelu i piću moguće su zdravstvene tegobe. Sjetite se izreke: „Neka hrana bude tvoj lijek, a neka tvoj lijek bude tvoja hrana.“ Neke promjene na globalnom nivou, nezavisno od vaše volje, mogu uticati da se prilagođavate situaciji, mijenjate ustaljene rutine i navike. Mars će vas od januara podsticati na aktivnost i promjenu planova.

VAGA - 23. 9 - 22. 10.

Prelazak Plutona u Vodoliju je povoljan aspekt za Vage, naročito na polju porodičnih odnosa ili ako se bavite privatnim biznisom.. Pluton će povećati samouvjerenost, hrabrost i lični uticaj kao i istrajnost u donesenim odlukama. I Jupiter iz Blizanaca je u harmoničnom aspektu sa vašim znakom pa može povećati finansije, naročito ako imate poslove sa strancima ili poslovima uvoza-izvoza. Venerin put od Riba do Ovna i natrag, u rx kretanju daće priliku da prispitate svoje emotivne i društvene odnose, vrijednosti koje su vam važne i šta je to šta želite zadržati jer vam donosi radost, a šta je potrebno pustiti. Oprezno u saobraćaju i prekontrolišite štitnu žlijezdu.

ŠKORPIJA - 23. 10 - 22. 11.

Mars iz Raka dodaje energiju i odlučnost da ostvarite svoje ambicije. Moguće je putovanje u inostranstvo radi posjete članovima porodice ili zbog posla. Uran u napetom aspektu rođenima 15. novembra može uzrokovati stres i ozbiljne srčane tegobe, pa je potrebno da imate red i disciplinu u svakodnevnom životu, što je moguće pod povoljnim uticajem Saturna. Planeta ljubavi Venera biće u skladnom aspektu sa vašim Suncem što omogućava da sa radošću i skladnim odnosima, kako u privatnom, tako i društvenom životu, prevaziđete uticaj stresnih situacija, naročito tokom januara. Rođeni 2325.10. mogu imati probleme zbog pretjerane ambicije.

STRIJELAC - 23. 11 - 21. 12. Vaš vladar Jupiter u rx hodu do 3.2.2025. sklon je preispitivanju vlastitih uvjerenja s namjerom da stvari sagleda u široj perspektivi ne gubeći iz vida sve što se dešava u vašem okruženju. Ovo je vrijeme utvrđivanja prioriteta kako bi mogli ostvariti svaki cilj. Nemojte pretjerivati ni u preuzimanju obaveza, a ni u zadovoljstvima i prekomjernim uživanjima u hrani. S obzirom na to da Saturn postavlja granice izdržljivosti i traži više odmora, nastojte napraviti balans između obaveza i želje da stignete na sve strane.Tokom januara uživajte u porodičnom okruženju. U prvoj polovini februara moći ćete realizovati genijalnu ideju, usmjerenu na budućnost JARAC - 22. 12 - 19. 1. Saturn, vaš vladar je u skladnom aspektu sa Suncem u Jarcu, što doprinosi sposobnosti za uspjeh, jer ste dobro organizovanin i disciplinovani. Povoljni aspekti Urana, doprinose da sprovedete promjene spajajući prošla iskustva sa novim u dobar rezultat sa konstruktivnim rješenjima. S Merkurom u Jarcu tokom januara bićete sposobni da ideje koristite u praktične svrhe, da taktom i vještom diplomatijom postignete šta vam je na umu. Pluton je napustio vaš znak i prešao u Vodoliju što će dati mogućnost da stvari više ne radite zato što morate, pod unutrašnjim pritiskom da dominirate u svemu. Napeti Marsovi aspekti mogu uzrokovati sukobe ili povrede VODOLIJA - 20. 1 - 19. 2. Pluton je ušao u vaš znak 20.11. gdje ostaje narednih 20 godina. Intenzivira želje na svim nivoima. Pluton degeneriše i regeneriše, tako da ćete u vremenu pred vama odbacivati sve nepotrebno, što vam više ne koristi da biste napravili uslove za regeneraciju i obnovu. Može se javiti pojačana želja za vlašću, dominacijom, kao i netolerantnost prema tuđim slabostima. Najsnažniji uticaj Plutona u ovom periodu osetiće rođeni 20 - 22.1. Jupiter iz Blizanaca povoljno utiče na zdravlje i prihode. Merkur će donijeti nove briljantne ideje koje možete prodati i unovčiti kada se sretnu Venera i Merkur u vašem polju novca. Ne iscrpljujte se od posla

RIBE - 20. 2 - 20. 3. Saturn je u direktnom kretanju od polovine novembra narednih osam mjeseci. Nadam se da ste se posljednjih mjeseci suočili sa svojim strahovima o nužnim promjenama, preispitali svoje granice i donijeli odluku da ne iscrpljujete sebe dajući se više nego što je potrebno. U narednom periodu držite se granica koje ste postavili i strukturirajte svoje prioritete i potrebe. U januaru će Venera biti u Ribama i eto prilike da se opustite, uživate, družite se i uživate u ljubavi. Kako Venera dugo ostaje u Ribama i prelazi u Ovna sagledajte šta vas to čini srećnim i držite se toga i u nepovoljnim okolnostima kada se dogode. Hrabrost i borba za ono što volite uvijek se isplate

Iz biblioteke prof. dr Slobodana Jankovića, književnika i humoriste

Smrt je samo promena svjetova, kao što prijatelji prelaze preko mora, zauvjek boraveći jedni u drugima. Oni možda umiru, ali njihovo prijateljstvo i njihova prisutnost, besmrtni su! (Medici.com )

Nikad nije živio onaj koji ne živi i nakon svoje smrti. (Italijanska poslovica)

Aforizmi

Za svaku Novu godinu dobija čestitku od fabrike kozmetike, jer pravi ružnu žensku djecu.

***

Muškarci su humani. Koliko djece se u svijetu piše na njih, a nisu njihova!

***

Kad bi nam sve stvari išle u glavu, kolika bi nam bila glava?

***

Čovjekov organizam je sastavljen najvećim dijelom od vode i vazduha. Sirotinja jedino ima toga.

***

Preventivne akcije daju rezultate. Žena koja prije braka stupi u seksualni odnos unosi gotovo dijete u brak.

***

Kad je hirurg pacijentu otvorio želudac i vidio da u njemu nema ništa, uzviknuo je: Pa, on je penzioner!

***

Jedan ljekar je dobio litru rakije. Dao mu čovjek kome su u opštini rekli: Danas ne primamo.

***

Opijene slavom treba tretirati kao alkoholičare. Sve je to bolest.

***

U bolnici se boluje, u banji banja, u crkvi bogu moli, u xamiji klanja. Ali, ima nešto ljepše od svega toga. (Nije keks).

***

Brak je demilitarizovan, ali borba ne prestaje. Ide se prsa u prsa.

***

Priroda nam oči i uši spustila ispod čela, pa niti vidimo niti čujemo šta se gore radi.

***

Upali narkomani u bolničku apoteku, a da nisu bili ni socijalno osigurani.

***

Oprostio bi on njemu što mu soli pamet, ali mu je bubrege sjebao.

***

U ovako velikoj besposlici seks je najčešće sirotinjsko zanimanje.

***

Sisao je majku i kada je pošao u školu. Tada nije bilo školskih mliječnih kuhinja.

***

Iz policijskog izvještaja: Tukli su ga da bolest istjeraju iz njega, a ne zbog plaćanja participacije.

***

Dok je on došao svijesti, ona više nije bila tu.

***

Kakvi smo mi to ljudi kad je pas čovjekov najbolji prijatelj?

Ne govorite naglas da nekome život visi o koncu. Ima budala kojima su uvijek pri ruci makaze.

Mini-humoreska NOS

Žene su u vječitoj zabludi što se tiče dužine nosa. Eto, ja imam mali nos, pa opet – ništa! Da sam dozvoljavao da me svako vuče za nos ko zna koliki bi mi bio, nos. Nosonje uvijek nisu i mozgonje. Priroda je onima s malim mozgom dala veliki nos, pa što ne znaju oni nanjuše. Postoji veliki i mali nos, baburast nos, krivi nos što zavisi gdje ga i koliko često gurate. Nos je neparni organ, ali ga opet svagdje guraju, čak i u maramicu! Kad neko dugo živi kaže se:

***

Supruga poznatog političara se žali da je muž ne može da zadovolji. Nama oči ispadoše već na početku njegovog mandata.

***

Toliko malo ulažemo u zdravstvo, kao da su se u vlast uvukli agenti smrti.

***

Dobra medicina doprinosi da se život produži, a loša politika da se previše oduži.

***

Život je proveo u zabludi. I pred smrt je častio doktora koji ga nije izliječio.

***

Teško je razumjeti medicinu. Zbog jedne bolesti ti savjetuju da se što više krećeš, a zbog druge da što više miruješ.

***

Umro je samo da bi dokazao kako izlaz postoji i u bezizlaznim situacijama.

***

Rodio se noću i umro je noću. Sad znam zašto je stalno pjevao: ”Sve je crno oko mene...”

***

Kad snahi na operaciji daju svekrvinu krv počinje da mrzi samu sebe.

Šale

- Ljubica rodila muško.

- Kako muško kad je žensko?

- Mislim, muški se držala dok se porađala. Kukala je da se sva bolnica tresla.

- Ostavi li ga u bolnici?

- Da.

- A jesi li što dala doktoru i sestrama?

- Jesam, knjižicu, ali nije bila ovjerena pa mi vratili.

- Doktore, ako mi operacija uspije, častiću te.

- Ako ne uspije, ne moraš - odgovori doktor.

- Zašto direktor cijelo jutro hoda oko porodilišta. Biće da mu se žena porađa.

- Ne, porađa mu se sekretarica.

Nanosao se nosa.

Najčešće zanimanje kod nas je čačkanje u nosu. Stranci to ne razumiju, pa pitaju: Imali šta? Kad neko dugo ganja zaposlenje ili stan kaže se izašlo mu nanos. U nosu su smješteni čulo mirisa, dlačice za čišćenje vazduha, krvni sudovi za grijanje vazduha. Nosorozima je i to bilo malo pa su na nos nakalamili rog. Minđuša na nosu tako lijepo stoji da prvo izazove asocijaciju na jedno mnogo omiljeno domaće živinče koga Srbi tako često kolju da mu nije koristilo ni obraćanje Ujedinjenim nacijama i Savjetu bezbjednosti. Toliko o nosu da mi ne bi nanos trglo.

Neki seoski šaljivdžija pronese vijest da je umro najbogatiji čovjek u selu. Narod počeo da se okuplja u dvorištu “pokojnika”, a to spadalo stao na kapiju i sipa rakiju gostima. Kad je domaćim vidio narod i doznao o čemu se radi, rekao je:

- Koljite june, kad se narod okupio da i ja pokusam svoju supicu.

- Stari u bolnici, kažu loše je?

- Da, svi smo se uznemirili, a najviše jadno tele koje ne zna hoće li ili neće biti zaklano.

Muž čuo da mu je žena rodila sina i otišao da je obiđe, a babica brže-bolje zgrabi novorođenče i nosi pred njega govoreći da je dobio sina.

- Hvala, babice, meni je žena jednog rodila ne morate mi i toga poklanjati, radije dajte nekom drugom.

Pacijent na operaciji čuje kako se priča o timskom radu pa pita doktora šta je to timski rad. Doktor malo promisli pa reče:

- Recimo, ja sam tebe operisao i završio svoj dio posla. A da li će operacija uspjeti zavisi kako ćeš ti uraditi svoj dio.

- Što ona mlada toli kuka ?

- Umrla joj svekrva.

- Znači, puno su se voljele?

- Ma ne, stara zaturila negdje posljednju penziju i snaha ne može da nađe.

Mužu javljaju da mu je žena rodila trojke. Iznenađen, maše glavom i govori:

- Posumnjao sam ja davno da se još neki motaju oko nje, a sad mi je jasno da su osim mene bila još dvojica.

- Zašto se pored mrtvaca dežura cijelu noć? – pita dječak drugara.

- Pa – poče da muca ovaj – ja mislim da bi se mrtvac ukočio od straha kad bi vidio da je sam u mraku.

- Zašto dijete plače čim se rodi?

- Boji se da nije vanbračno.

Primili čiču u bolnicu, ali pošo nema mjesta, stavljaju ga u krevet s drugim bolesikom.

- Nisam ja peder da spavam s muškarcem, ako već mora s nekim spavaću sa ženskom.

Dok sjede pored sanduka u kome leži mrtav djed, otac ošamari sina.

- Zašto tučeš dijete? – pita žena.

- Otvara djedov novčanik, a nismo stoposto sigurni da li je umro.

- Da li znaš da je Stevica jako spetljan?

- Čuo sam.

- Šta si čuo?

- Da se spetljao i sa tvojom ženom.

AS MEDICUS VRA

Telefon: 011/2836-836, 065/285-3393

AS MEDICUS BEŽANIJSKA KOSA

Telefon: 011/2272-916, 065/2272-916

E-mail: poliklinika@asmedicus.rs

Radno vreme:

1. Dermatološki pregledi

KLASIČNA MEDICINA:

2. Kozmetološki tretmani i liječenje polnih bolesti

INTERNA MEDICINA

3. Ultrazvuk krvnih sudova - vaskularni hirurg

ULTRAZVUK I COLOR DOPPLER KARDIOLOGIJA

4. Krioterapija tečnim azotom (otklanjanje bradavica, kondiloma)

ORL

5. Peeling lica, kauterizacija (otklanjanje visećih, staračkih, seborojičkih bradavica)

NEUROLOGIJA I PSIHIJATRIJA GINEKOLOGIJA

KVANTNA MEDICINA: BIOREZONANTNI SKENER TERMOVIZIJSKI SKENER DARKFIELD MIKROSKOP MIKROREZONANTNA TERAPIJA

dr sci med Nina Nikolovska Sinicki, spec. ORL i Kvantne medicine
dr Aleksandar Sinicki, spec. neuropsihijatrije i Kvantne medicine
Osnivači poliklinike

KUĆNE POSJETE

Pozovite nas i dolazimo na Vašu adresu 065 543 184

ALFALAB POSLOVNICE

Alfalab Malta

Mladena Stojanovića 26 c, Banja Luka 051 813 116 alfalabmaltarezultati@gmail.com

Alfalab Centar

Milana Tepića 27, Banja Luka 051 218 448 alfalab75@gamil.com

Alfalab Borik

Gundulićeva 25, Banja Luka 051 265 460 alfalabborik@gmail.com

Alfalab Lazarevo

Ilije Garašanina 1, Banja Luka 051 963 385 alfalab2biomedica@gmail.com

Alfalab Kotor Varoš Stafana Nemanja bb 051 941 199 alfalabkv@gmail.com

Alfalab Gradiška Kozarskih brigada bb 051 453 070 alfalab.gradiska@gmail.com

Alfalab Mrkonjić Grad Sime Šolaje bb 050 490 208 alfalabmrkonjic@gmail.com

Alfalab Prijedor Kozarska 51a 052 225 634 alfalabbiomedicaprijedor@gmail.com

78000 BANJA LUKA; Ul. Braće Mažar i majke Marije 18 (Hanište); Tel: 051/212-437; prizmabls@teol.net; www.prizmabl.com

Koncetrator kiseonika

Tjelesni analizator

PREGLEDI I LIJEČENJE

Mi smo tu zbog Vas!!!

U našoj ustanovi možete obaviti sljedeće usluge:

1. Pregled hirurga i operativni zahvati iz domena abdominalne hirurrgije

2. Pregled gastroenterologa i gastroenterološka obrada (gastroskopija,kolonoskopija u analgosedaciji)

3. ERCP

4. CT dijagnostika

5. UZ dijagnostika

6. Pregled kardiologa + UZ srca

7. Pregled dermatologa

8. Pregled ortopeda, endoskopske intervencije

9. Pregled endokrinologa

10. Pregled i endoskopska dijagnostika dječijeg gastroenterologa (prof. dr Vojislav Perišić)

11. Pregled specijaliste ORL, alergologa, te operativni zahvati iz domena otorinolaringologije

12. Operativni zahvati iz domena laparaskopske ginekologije

13. Operativni zahvati štitne žlijezde minimalno-invazivnom metodom (prim. dr Dejan Ilinčić)

14. Operativni zahvati iz domena plastično-rekonstruktivne hirurgije

Turn static files into dynamic content formats.

Create a flipbook
Issuu converts static files into: digital portfolios, online yearbooks, online catalogs, digital photo albums and more. Sign up and create your flipbook.