SPIS TREŚCI
1. Gojenie złamań u dzieci i zjawisko remodelingu (Jarosław Czubak)
2. Epidemiologia i profilaktyka złamań u dzieci (Jarosław Czubak)
3. Dlaczego złamania u dzieci różnią się od tych występujących
9. Urazy wielonarządowe u dzieci (Konrad Grochowski)
9.1. Konsekwencje urazu wielonarządowego .
9.2. Kolejność zaopatrywania urazów u dziecka po urazie wielonarządowym
9.3. Reakcja na uraz wielonarządowy u dziecka i u dorosłego
9.4. Pacjent z politraumą – podstawowe zadania
9.5. Diagnostyka .
9.6. Urazy głowy.
9.7. Urazy klatki piersiowej
9.8. Urazy jamy brzusznej
9.9. Urazy zewnętrznych narządów płciowych
9.10. Oparzenia
10. Zasady postępowania w złamaniach otwartych (Magdalena Kwiatkowska )
10.1. Złamania otwarte
11. Zespół ciasnoty przedziałów powięziowych (Magdalena Kwiatkowska)
11.1. Patofizjologia
11.2. Najczęstsze przyczyny zespołu ciasnoty przedziałów powięziowych u dzieci
11.3. Leczenie
12. Zasady postępowania w złamaniach nasadowych oraz ich następstwach (Magdalena Kwiatkowska)
12.1. Klasyfikacja Saltera i Harrisa „SALTR”
12.2. Zaopatrywanie złamań u dzieci – zasady ogólne
12.3. Następstwa uszkodzenia chrząstki wzrostowej u dzieci
12.4. Podstawowe zasady repozycji złamań dziecięcych
13. Postępowanie w złamaniach nieurazowych (weak bone fracture) (Magdalena Kwiatkowska)
13.1. Złamania u dzieci z przepukliną oponowo-rdzeniową i mózgowym porażeniem dziecięcym
13.2. Leczenie złamań patologicznych
14. Złamania patologiczne u dzieci (Waldemar Przybysz)
14.1. Definicja
14.2. Lokalizacja
14.3. Podział złamań patologicznych
15. Zespół dziecka maltretowanego – urazy nieprzypadkowe (Magdalena Kwiatkowska)
15.1. Epidemiologia
15.2. Jak rozpoznać zespół dziecka maltretowanego?
15.3. Badanie kliniczne, w tym wygląd i zachowanie dziecka
15.4. Najczęstsze uszkodzenia szkieletowe
15.5. Złamania nieprzypadkowe – charakterystyka
15.6. Klasyczne złamania przynasadowe – charakterystyka
15.7. Złamanie wyrostka barkowego łopatki oraz spiralne złamanie trzonu kości ramiennej
15.8. Rokowanie
15.9. Postępowanie
16. Złamania i urazy kończyny górnej
16.1. Złamania i zwichnięcia obojczyka (Jarosław Czubak)
16.2. Podwichnięcia i zwichnięcia stawu ramiennego (Jarosław Czubak)
16.3. Złamania kości ramiennej
16.4. Zwichnięcia w stawie łokciowym (Łukasz Matuszewski)
16.5. Złamania głowy i szyjki kości promieniowej (Łukasz Matuszewski)
16.6. Złamania bliższej części kości łokciowej (Łukasz Matuszewski)
16.7. Złamania trzonów kości przedramienia (Łukasz Matuszewski).
16.8. Złamanie Monteggia (Łukasz Matuszewski)
16.9. Złamania dalszego odcinka kości promieniowej i łokciowej (Łukasz Matuszewski)
16.10. Leczenie powikłań urazów stawu łokciowego u dzieci (Łukasz Matuszewski)
16.11. Złamania nadgarstka, zwłaszcza kości łódeczkowatej (Magdalena Kwiatkowska).
16.12. Złamania innych kości nadgarstka u dzieci (Magdalena Kwiatkowska)
16.13. Złamania kości śródręcza (Magdalena Kwiatkowska)
16.14. Złamania kości palców ręki (Magdalena Kwiatkowska)
17. Złamania i urazy kończyny dolnej
17.1. Złamania miednicy (Adam Caban, Grzegorz Doroszewski)
17.2. Złamania kości udowej (Magdalena Kwiatkowska)
17.3. Złamania rzepki i podudzia (Magdalena Kwiatkowska )
17.4. Złamania i zwichnięcia kości stępu (Andrzej Sionek)
17.5. Złamania kości śródstopia (Andrzej Sionek)
17.6. Złamania kości palców stopy (Andrzej Sionek)
17.7. Urazy sportowe kończyny dolnej u dzieci
17.7.1. Urazy sportowe stawu skokowego i biodrowego (Marcin Złotorowicz)
17.7.2. Złamanie wyniosłości międzykłykciowej (Marcin Gruba)
17.7.3. Złamanie guzowatości kości piszczelowej (Marcin Gruba)
17.7.4. Wydzielająca martwica chrzęstno-kostna (Marcin Gruba)
17.7.5. Choroba Osgood-Schlattera (Marcin Gruba)
17.7.6. Zespół Sindinga, Larsena i Johanssona (Marcin Gruba)
17.7.7. Uszkodzenia łąkotek (Marcin Gruba)
17.7.8. Łąkotka tarczowata (Marcin Gruba)
17.7.9. Uszkodzenie więzadła krzyżowego przedniego (Marcin Gruba)
17.7.10. Zwichnięcie rzepki (Marcin Gruba)
17.8. Urazowe uszkodzenia kręgosłupa u osób w wieku rozwojowym (Marcin Tyrakowski, Maria Czubak-Wrzosek)
CZĘŚĆ III. WYBRANE ZAGADNIENIA REPLANTACJI I REKONSTRUKCJI KOŃCZYN
18. Replantacje w obrębie kończyny górnej (Leszek Romanowski, Marta Twardowska)
18.1. Wstęp
18.2. Czynniki wpływające na powodzenie replantacji
18.3. Wskazania i przeciwwskazania do replantacji u dzieci
18.4. Procedura replantacji
18.5. Warunki do wykonywania replantacji
18.6. Postępowanie pooperacyjne
18.7. Powikłania
18.8. Skuteczność replantacji
18.9. Wtórne operacje po replantacjach
18.10. Serwis replantacyjny w Polsce
19. Replantacje kończyn dolnych (Leszek Romanowski, Marta Twardowska)
20. Rekonstrukcje w obrębie kończyny dolnej
20.1. Leczenie rekonstrukcyjne w obrębie kończyny dolnej (Szymon Pietrzak)
20.2. Rekonstrukcje kończyn u dzieci z patologiczną tkanką kostną (Szymon Pietrzak, Anatoly Korobeinikov, Dmitry Popkov)
Skorowidz
czynniki wpływające na zwiększanie częstości wykonywanych operacji złamań to: postęp technologiczny w zakresie konstrukcji implantów i ich zastosowania, przyspieszenie gojenia, skrócenie czasu hospitalizacji, poprawa wyniku leczenia, poprawa wyniku gojenia złamań dotyczy głównie złamań nadkłykciowych kości ramiennej, złamań trzonów kości przedramienia, złamań trzonów
kości ramiennej, kości udowej. Poprawę tę obserwuje się w postaci niższej liczby powikłań, co potwierdza niższy wskaźnik ponownych przyjęć do szpitala.
Pomimo obserwowanych trendów podręcznik złamań u dzieci i młodzieży należy zacząć od omówienia specyfiki gojenia złamań kości rosnącej.
Warstwa korowa
Szpik
Dzień 0–3
Dzień 3–5Dzień 5–10Dzień 10–16Dzień 16–21Dzień 21–35
Krwiak
Monocyt PMN
Limfocyt T
Makrofag
Faza anaboliczna
Limfocyt B
Rycina 1.1.
KrwiakTkanka włóknista
Komórka macierzysta zrębu
Kostnina miękka / chrzęstna niezmineralizowana
Faza kataboliczna
Faza śródchrzęstna
Chondrocyt przerośnięty
Chondrocyt
Osteoblast
Osteoklast
Kostnina twarda / kość „nowa”
Komórka mielopoetyczna szpiku
Komórka hematopoetyczna szpiku
Kostnina twarda / kość przemodelowana
Osteocyt
Faza zapalenia
Faza remodelingu
Gojenie złamania kości na przykładzie trzonu kości udowej. Większość faz metabolicznych (anabolicznej i katabolicznej – paski niebieskie) nakładają się na fazy biologiczne (zapalenia, śródchrzęstna, remodelingu – paski szare). Pierwotne fazy metaboliczne gojenia złamania zaprezentowane są w kontekście trzech faz biologicznych procesu gojenia, który obejmuje wszystkie fazy. Komórki pierwotne, które są charakterystyczne w każdej fazie gojenia, w całym okresie gojenia są oznaczone i rozpowszechnione. Skala czasowa jest ekwiwalentem gojenia złamania trzonu kości udowej leczonego z użyciem gwoździa śródszpikowego.
Opis skrótów: BMP – białko morfogenetyczne, BMPR – receptor białka morfogenetycznego, DKK1 – białko Dickopfa 1, LRP, LDL – białka receptorowe, MSC – komórki mezenchymalne szpiku, PMN –leukocyty wielojądrzaste, PTH – parathormon, PTHrP – receptor dla PTH, RANKL – receptor aktywujący jądrowy czynnik xB ligand.
Gojenie złamań u dzieci i zjawisko
Kość zdrowaTyp
S straight across – szczelina złamania przechodzi przez chrząstkę wzrostową





Rycina 6.3.
A above – złamanie obejmujące trójkąt przynasadowy




L lower or below – pionowe pęknięcie nasady, przechodzące poprzecznie przez chrząstkę wzrostową







T two or through –pionowe złamanie przebiegające prostopadle do nasady
ER erasure of growth plate or crush – zmiażdżenie nasady






Podział złamań kości rosnących, tzw. złamań nasadowych: A – schematyczne przedstawienie klasyfikacji złamań; B – SH I (RTG, widok z przodu i z boku); C – SH II (RTG, widok z przodu i z boku); D – SH II (TK, widok z boku); E – SH III (RTG, widok z przodu i z boku); F – SH IV (RTG, widok z przodu i z boku); G – SH V (RTG, widok z przodu i z boku).
Złamania niecałkowite typu urazowego zagięcia – dotyczą głównie trzonów kości. Powstają wówczas, gdy działająca na kość siła nie jest wystarczająca, by ją złamać, a kość charakteryzuje się elastycznością, która ogranicza następstwa działania siły.
Objawem tego typu złamania jest ograniczone pogrubienie okolicy urazu. Najczęściej występuje w trzonach kości łokciowej i strzałkowej.
Chorego należy dokładnie zbadać, zwłaszcza w zakresie przedramienia, aby ustrzec się przed przeoczeniem uszkodzenia typu Monteggia, czyli
Klasyfikacja złamań u dzieci i młodzieży


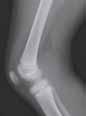
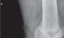
Rycina 17.81.
A, B – Genu recurvatum u pacjenta po złamaniu okolicy proksymalnej części chrząstki nasadowej piszczeli.
Rycina 17.82.
Uszkodzenie tętnicy podkolanowej wskutek złuszczenia nasady bliższej kości piszczelowej (S-H 1). Zagrożenie rozwojem zespołu przedziałów powięziowych jest poważne.
Rozpoznanie
Objawy złamania to silny ból uniemożliwiający stanie i chodzenie, zniekształcenie obrysów stawu kolanowego przez krwiak i różnego stopnia przemieszczenie nasady kości piszczelowej. Należy dokładnie zbadać stan ukrwienia i unaczynienia kończyny pod kątem objawów uszkodzenia tętnicy podkolanowej i nerwu strzałkowego. Trzeba ocenić bolesność uciskową oraz napięcie w przedziałach powięziowych podudzia: przednim, bocznym, tylnym powierzchownym i tylnym głębokim. U pacjentów z podejrzeniem wzmożonego ciśnienia wewnątrzprzedziałowego należy wielokrotnie powtarzać badanie ukrwienia i unerwienia kończyny, a w razie zaistnienia wskazań wykonać bezpośredni pomiar ciśnienia w przedziałach. Powinno się zawsze podejrzewać możliwość uszkodzeń więzadłowych współistniejących ze złamaniem. Badania obrazowe to RTG w pozycji AP, bocznej i skośnej. Wykonanie badania TK może być konieczne w celu pełnej oceny rozległości
złamania. W przypadku podejrzenia uszkodzenia tętnicy podkolanowej należy wykonać angio-TK lub arteriografię.
Leczenie
Leczenie złamania bliższej nasady piszczeli w przypadku uszkodzenia typu 1 i 2 według Saltera i Harrisa leczymy nieoperacyjnie. Należy wykonać zamkniętą repozycję i unieruchomić w opatrunku gipsowym udowym w zgięciu kolana 30–60°, zapewniającym najlepszą stabilność odłamów. Okres unieruchomienia wynosi od 6 do 7 tygodni. Po tym czasie usuwamy gips i zaczynamy ćwiczenia zwiększające zakres ruchomości stawu kolanowego oraz wzmacniające siłę mięśnia czworogłowego. Ważne jest, by prowadzić częste kontrole stanu ukrwienia i unaczynienia oraz kontrole radiologiczne w celu wykrycia ewentualnych przemieszczeń odłamów. Złamania pierwotnie niestabilne lub wtórnie przemieszczone wymagają zamkniętej repozycji stabilizacji drutami K. Typ 3 i 4
Złamania rzepki i podudzia
złamania według Saltera i Harrisa wymaga leczenia operacyjnego w postaci otwartej repozycji i stabilizacji śrubami. Należy unikać krzyżowania metalu zespalającego z chrząstką wzrostową. Kończynę zgiętą w kolanie do 30° unieruchamia się w gipsie udowym na okres 6–8 tygodni. Po tym czasie rozpoczynamy ćwiczenia czynne poprawiające zakres ruchomości kończyny.
Powikłania
Zespół ciasnoty przedziałów powięziowych
Zespół ciasnoty przedziałów powięziowych może wystąpić wskutek uszkodzenia tętnicy podkolanowej (10% przypadków). Wynika on ze ścisłego powiązania tętnicy z torbą stawową na wysokości proksymalnej części piszczeli. Należy ściśle monitorować stan kończyny i unikać okrężnych opatrunków gipsowych.
Porażenie nerwu strzałkowego
Porażenie nerwu strzałkowego jest związane z jego naciągnięciem wskutek przemieszczenia odłamów bezpośrednio podczas urazu lub podczas zamkniętej repozycji złamania (głównie przy manewrach szpotawienia).
Inne
Inne powikłania to częściowe (deformacje osiowe) lub całkowite (skrócenie kończyny), przedwczesne zamknięcie chrząstki wzrostowej, zaburzenia ukrwienia na tle uszkodzenia tętnicy podkolanowej.
Leczenie
Leczenie polega na obserwacji, stosowaniu hemiepifizjodezy lub osteotomii korekcyjnych. Nierówna
długość kończyn dolnych ma tendencję do narastania w tempie 1 cm na rok.
17.3.2.4. Złamania bliższej przynasady piszczeli (złamanie Cozena)
Złamania bliższej przynasady piszczeli występują rzadko (11% złamań piszczeli u dzieci), najczęściej w wieku pomiędzy 3. a 6. rokiem życia. Szczelina złamania ma zwykle przebieg poprzeczny. Często jest to złamanie typu zielonej gałązki. Może mu towarzyszyć złamanie kości strzałkowej lub jej deformacja plastyczna. Nie zdarza się często, ale ma duże znaczenie kliniczne, ponieważ może prowadzić do postępującej koślawej deformacji kończyny. Do złamania dochodzi najczęściej w mechanizmie urazu, którego siła działa od boku na kończynę wyprostowaną w stawie kolanowym.
Rozpoznanie
W badaniu klinicznym dominują ból i obrzęk okolicy bliższej przynasady piszczeli, bolesne ruchy bierne w stawie kolanowym. Może być widoczna deformacja koślawa. Ruchy czynne są zniesione. Należy dokładnie zbadać ukrwienie i unerwienie kończyny z powodu ryzyka wystąpienia zespołu ciasnoty przedziałów powięziowych. Złamanie można sklasyfikować jako poprzeczne, skośne, zielonej gałązki, deformację plastyczną, złamanie typu torus Badanie RTG wykonujemy w pozycji AP i bocznej. Bardzo pomocne może być wykonanie badania TK.
Leczenie
Leczenie polega na zamkniętej repozycji oraz unieruchomieniu w opatrunku gipsowym udowym z kolanem ustawionym w całkowitym wyproście.
Złamania i urazy kończyny dolnej
poprzeczne, spiralne, skośne, w kształcie motyla, wieloodłamowe.












Dalszy podział jest specyficzny wyłącznie dla kości rosnących i dotyczy tzw. złamań nasadowych. Został opublikowany przez Saltera i Harrisa i jest to najważniejszy podział złamań kości rosnących (ryc. 6.3 A–G).









Przebieg szczeliny złamania: A – złamanie poprzeczne (RTG, widok z przodu); B – złamanie skośne (RTG, widok z przodu i z boku); C – złamanie spiralne (RTG, widok z przodu i z boku); D – złamanie w kształcie motyla (RTG, widok z boku); E – złamanie wieloodłamowe (RTG, widok z przodu i z boku).
Klasyfikacja złamań u dzieci i młodzieży
Kurację zobrazowano na podstawie gojenia złamania trzonu kości długiej. Na rycinie 1.1 przedstawiono nakładanie się faz metabolicznych i biologicznych gojenia złamania. Pierwsze fazy metaboliczne (anaboliczna i kataboliczna) odpowiadają trzem fazom biologicznym procesu gojenia (zapalenia, któremu towarzyszy powstawanie krwiaka, kostnienia na bazie chrząstki i faza naprawcza z odbudową kości i remodelingu). Komórki dominujące w poszczególnych fazach gojenia oraz ich czas obecności w nich są ściśle określone.
Przedstawiony model gojenia kości jest ekwiwalentem gojenia zamkniętego złamania kości udowej u myszy leczonej z użyciem zespolenia śródszpikowego.
Na rycinie 1.2 przedstawiono procentowy udział poszczególnych faz gojenia złamania przy zachowanej proporcjonalności ekspresji gojenia, czyli tak jak to zachodzi w warunkach kości niezmienionej chorobowo, co może mieć wpływ na gojenie się złamania kości.
Gojenie jest procesem zależnym od wielu czynników. Są to czynniki biofizyczne, biologiczne i ogólnoustrojowe.
Faza zapalna Faza reparacji śródchrzęstnej Faza remodelingu
Procentowy rozkład czasowy 10%
Fazy gojenia złamania 40%
Rycina 1.2.
Procentowy udział poszczególnych faz gojenia złamania przy zachowanej proporcjonalności ekspresji gojenia.
Na podstawie: Court-Brown C.M., Heckman J.D., McQueen M.M. i wsp. (red.): Rockwood & Green Fractures in Aduts. Wyd. 8, tom 1. Wolters Kluwer Health 2015: 113.
Czynniki biofizyczne: stymulacja pola elektromagnetycznego oraz niskiej intensywności pulsacja ultradźwiękowa. Czynniki biologiczne zastosowane miejscowo:
czynniki osteogenne: autologiczne przeszczepy kostne, autologiczny szpik kostny, czynniki osteokondukcyjne: fosforan wapnia, hydroksyapatyt wapnia, siarczan wapnia, przeszczepy alogeniczne i ich produkty, czynniki wzrostu: fibroblastyczne FGF (fibroblast growth factor – fibroblastyczne czynniki wzrostu), płytkowe PDGF, czynniki osteoindukcyjne i morfogenetyczne: BMP (bone morphogenetic protein – białko morfogenetyczne), białka szlaku sygnałowego Wnt.
Czynniki oddziałujące systemowo: parathormon, przeciwciała przeciwko sklerostynie (anti-sclerostin), przeciwciała przeciwko Dickkopf-1 (anti-Dickkopf-1) zależnych białek 1.
1.1. Gojenie złamań u dzieci
9.3. REAKCJA NA URAZ WIELONARZĄDOWY U DZIECKA I U DOROSŁEGO
Powikłania urazów wielonarządowych u dzieci i osób dorosłych przedstawiono w tabeli 9.2.
Tabela 9.2.
Powikłania urazów wielonarządowych u dzieci i osób dorosłych
Powikłanie Dziecko Dorosły
Wystąpienie niewydolności narządowejBezpośrednio po urazie
Około 1–2 dób po urazie
Niewydolność wielonarządowa Jednoczesna Kaskadowa
Śmiertelność przy złamaniach miednicyNiska Wysoka
Ryzyko znacznego uszkodzenia tkanki płucnej Niskie Wysokie
Defekty neurologiczne
Odwracalność wysoka
Odwracalność niska
































