Medical Magazine 12 2025

Page 1


www.medmag bg Редакционна

16

УЛТРАСОНОГРАФИЯ КАТО ИНОВАТИВЕН

22

30 ШИЯТА КАТО ОГЛЕДАЛО НА СКРИТИЯ КАРЦИНОМ –ДИАГНОСТИЧНО

ПРЕДИЗВИКАТЕЛСТВО Д. Пазарджиклиев, З. Въжев, Д. Вичева, В. Бурова, Б. Яворов

36 СУБХОРДАЛЕН ЛАРИНГИТ:

И ГИНЕКОЛОГИЯ

54 ВЗАИМОВРЪЗКАТА МЕЖДУ ЧРЕВНИЯ МИКРОБИОТ И ГИНЕКОЛОГИЧНИТЕ ЗАБОЛЯВАНИЯ: ИМУНОЛОГИЧНИ МЕХАНИЗМИ И РОЛЯТА НА СПЕЦИФИЧНИТЕ IGG АНТИТЕЛА М. Кръстева, В. Карамишева, Д. Колева, Б. Карамишев, А. Колев, Л. Колева, Д. Христова, К. Чечев, Н. Христов, Л. Перусанова, В. Спасова

58 ЕСТРОГЕНЕН ДЕФИЦИТ

ГРИЖА Л. Колева, Д. Колева, Б. Карамишев, А. Колев, В. Спасова, В. Карамишева, С. Богданова, Л. Перусанова, Н. Христов, Д. Христова, Д. Стоянова, В. Спасова

64 БАКТЕРИАЛНА ВАГИНОЗА –ЛЕЧЕНИЕ, ПРЕДИЗВИКАТЕЛСТВА И ВЪЗМОЖНОСТИ

68 СЪВРЕМЕННАТА РОЛЯ НА ЕПИДУРАЛНАТА И СПИНАЛНАТА АНАЛГЕЗИЯ В ОБЕЗБОЛЯВАНЕТО НА РОДИЛНИЯ ПРОЦЕС И ОПТИМИЗИРАНЕТО НА УТЕРОПЛАЦЕНТАРНАТА ХЕМОДИНАМИКА Е. Георгиева, С. Костов ДЕРМАТОЛОГИЯ

72 ГЛАДИАТОРСКО АКНЕ И. Венкова, Б. Казанджиева, М. Хитова

76 ДОБРОКАЧЕСТВЕНИ КОЖНИ НОВООБРАЗУВАНИЯ И ХИПЕРПЛАЗИИ А. Христова, И. Василевски, Й. Велевска, И. Юнгарева, Й. Петкова, С. Мáрина

редишни проучвания също установяват, че ниските нива

TARGET-D включва възрастни

може да предотврати бъдещи инфаркти, инсулти, хоспитализации или смъртни случаи пора-

започват проучването с нива на витамин D в кръвта си под 40 ng/mL, ниво, което много експерти смятат за недостатъчно за оптимално здраве. За разлика от по-ранни рандомизирани проучвания за витамин

персонализира до -

зите въз основа на резултатите от кръвния тест на всеки участник.

„Предишни клинични проучвания върху витамин D тестваха потенциалното въздействие на

антиоксиданти ефекти и могат да регу -

лират клетъчната активност в тялото, борейки се със свободните радикали, които могат да доведат до оксидативен стрес.

МАКРО- И МИКРОЕЛЕМЕНТИ Прополисът съдържа макро- и микроелементи, включително флавоноиди, аминокиселини, витамини от група В, витамин С, витамин Е, бета-каротин и цинк, както и много други. Той съдържа всички основни хранителни вещества, необходими за поддържане на имунната система, и може да стимулира и увеличи броя на имунните клетки, необходими за защита на тя лото. Има доказани антибактериал ни, противогъбични, противовирусни, противовъзпалителни, противорако ви и антиоксидантни свойства, пома гащи на имунната система в борбата с болестите.

ПОЛЗИ Със споменатите по-горе свойства, прополисът може да е от полза

Той може

се прилага заедно със синтетични лекарства и при някои обстоятелства

е по-ефективно лечение, когато става въпрос за устойчиви на лекарства су

пербактерии или херпеси. Прополисът

е отлична естествена алтернатива за заздравяване на рани/изгаряния, по

мага за предотвратяване на някои ви дове рак и орално

Комбинацията от мед от манука (MGO), прополис

и пречистена пчелна отрова (VENZ™) предлага многокомпонентно противомикробно и

противовъзпалително действие, подплатено с

клинични и лабораторни данни.

Манука мед (MGO): клинична значимост

Медът от манука е доказано ефективен срещу

резистентни микроорганизми.

Клинични данни:

• При хронични венозни улкуси – елиминиране на MRSA в 70% за 4 седмици (vs 16% при стандартен хидрогел).

• In vitro инхибира S. aureus, E. coli, P. aeruginosa.

• Възстановява чувствителността на MRSA към оксацилин (синергия с β-лактами).

Приложение: инфекции на ГДП, възпалени лигавици, орални лезии, гастрит и H. pylori (като адювант).

Пчелна отрова (VENZ™): фармакологични ефекти

Пречистената пчелна отрова съдържа биопептиди (мелитин, апамин) с доказан противовъзпалителен и аналгетичен механизъм. Механизми: • Потискане

състояния.

Прополис: широкоспектърна биологична активност Съдържа над 300 активни компонента (флавоноиди, фенолни киселини, CAPE).

Документирани ефекти:

• Инхибиция на TNF-α, IL-1β, IL-6 и COX-2.

• Антимикробна активност, включително срещу MRSA.

• Синергия с антибиотиците – усилва действието

β-лактами и гликопептиди.

• In vitro блокира свързването на SARS-CoV-2 с ACE2 рецептора. Клинични

терапия при:

• Инфекции на горните дихателни пътища (настинки, фарингит, тонзилит).

• Често боледуващи пациенти – профилактика през зимните месеци.

• Афти, гингивит, пост-УНГ процедури.

• Малки рани и кожни възпаления.

• Болково-възпалителни състояния на опорнодвигателния апарат.

• Гастроинтестинални оплаквания – гастрит, диспепсия, H. pylori (адювант).

Противопоказания и безопасност

• Алергия към пчелни продукти (абсолютна).

• Деца под 1 година.

• Внимание при бременност, диабет и автоимунни заболявания.

• Адювант, не заместител на стандартното лечение. Заключение

PRO VENZ MGO 100+

ни микроорганизми като Bifidobacterium, Lactobacillus, Saccharomyces boulardii и Bacillus coagulans повишава тяхната

увеличава

заболявания, като

този начин подчертава значението на стратегиите, които насърчават оптималното здраве на червата. Сред тях функционалните хранителни съставки като пробиотици, пребиотици и тяхната синергична комбинация, синбиотици, при-

добиват все по-голяма популярност в световен мащаб.

Според Световната здравна организация (СЗО), пробиотиците са живи микроорганизми, които осигуряват ползи за здравето, когато се консумират в достатъчни количества. Пребиотиците се определят най-добре (според консенсуса, приет в последните прегледи) като субстрати, селективно използвани от микроорганизмите гостоприемници, които осигуряват ползи за здравето, а не като „стимулиращи активността на пробиотичните бактерии“. Синбиотиците комбинират пробиотични щамове, като Lactobacillus и Bifidobacterium, с пребиотични фибри,

лимфоидна тъкан (GALT), като по този начин повишават мукозния имунитет и потискат възпалителните каскади. Чрез насърчаване на балансирана микробна общност,

като Clostridium perfringens, Salmonella и Escherichia coli, като същевременно насърчават

Проф. д-р Здравко Каменов (УМБАЛ „Александровска“, София) припомни дизайна на EMPA-REG OUTCOME - рандомизирано, двойно-сляпо, плацебо-контролирано клинично проучване, което изследва добавянето на empagliflozin към стандартната терапия при пациенти със захарен диабет тип 2 (ЗДТ2) и висок сърдечно-съдов (СС) риск в сравнение с плацебо, също добавено към стандартно лечение.

„ Резултатите показват, че empagliflozin в допълнение към стандартната терапия значимо намалява сърдечно-съдовия риск и подобрява преживяемостта на пациентите. Общите данни за безопасността са

в съответствие с предишни проучвания с empagliflozin,” посочи проф. Каменов. Той допълни, че ползите от медикамента за постигане на редукция на СС смърт достигат значимост още на 59-ия ден.

По отношение на бъбречната функция, проф. Каменов подчерта, че ефектите от empagliflozin, демонстрирани в EMPA-REG OUTCOME са толкова значими, че са обект на отделна публикация в NEJM.: „ Днес говорим за нещо наистина изключително – проучването EMPA-REG OUTCOME, което промени бъдещето на лечението при диабет тип 2,“ заключи той.

Доц. д-р Боян Нончев (УМБАЛ „Каспела“, Пловдив) представи обзор на проучванията EMPEROR-Reduced и EMPEROR-Preserved, изследващи ефекта на empagliflozin при пациенти със сърдечна недостатъчност (СН) - със и без захарен диабет тип 2.

„ Пациентите със СН и ЗДТ2 са

леко намалена фракция).

„ Данните от EMPEROR-Reduced показват, че empagliflozin значимо понижава относителния риск от първичната крайна цел (хоспитализации за СН или СС смърт) независимо от наличието на ЗДТ2. А след това, EMPERORPreserved прави втори пробив с empagliflozin в медицината, защото в него SGLT2 инхибиторът

Доц. д-р Мила Бояджиева (МЦ „Медикъл Плюс“,

на кръвната захар, телесното тегло, сърдечно-съдовите рискови фактори и кардио-ренална протекция. При хронична СН според актуализираните ръководства SGLT2 инхибиторите се препоръчват с най-високо ниво на доказателственост (IA) при всички форми на СН – с намалена, леко намалена и запазена фракция на изтласкване. При ХБЗ, според ръководството от 2024 г., те са първа линия медикаментозна терапия, продължаваща до диализа или трансплантация, в комбинация с блокери на РААС.

„ SGLT2 инхибиторите заемат централно място в лечението на ЗДТ2,

1. Davies MJ et al. Cardiovasc Diabetol. 2022 Aug 4;21(1):144.

2. Кратка характеристика на продукта empagliflozin

3. Zinman B et al, N Engl J Med 2015; 373 (22):2117-2128.

4. Verma S et al, ESC Heart Fail. 2021 Aug;8(4):2603-2607.

5. Claggett et al. Circulation. 2018;138:1599. 6. Inzucchi S et al. Diabetes Care. 2018; 41: 356–363.

7. Mazer D, Hare G et al, Circulation. 2020; 141:704-707.

8. Wanner C et al. N Engl J Med 2016;375:323

9. Packer et al. NEJM 2020. DOI: 10.1056/ NEJMoa2022190.

10. Anker SD et al. Circulation 2021;143:337. 11. Anker S et al. N Engl J Med. 2021 Aug 27. doi:10.1056/NEJMoa2107038.

12. Wagdy K, Nagy S. Glob Cardiol Sci Pract. 2021 Oct 30; 2021(3): e202117. doi:

10.21542/gcsp.2021.17. 13. Butler J et al. Eur J Heart Fail. 2022;24:245. 14. Filippatos G et al. Circulation. 2022; 146: 676. 15. The EMPA-KIDNEY Collaborative Group. N Engl J Med 2023; 388:117–127. 16. Herrington WG, Staplin N et al; EMPAKIDNEY Collaborative Group. N Engl J Med. 2025 Feb 20;392(8):777-787. 17. Fernández-Fernandez B, et al. Clin Kidney J 2023;16:1187–1198. 18. Cherney D et al. Circulation 2014;129:587. 19.0 Verma S, McMurray JJV. Diabetologia. 2018;61:2108-2117. 20. Hallow KM, et al., Diabetes Obes Metab. 2018 Mar;20(3):479-487. 21. Griffin M, Circulation. 2020; 142: 10281039. 22. Mason, T. et al. J Am Coll Cardiol Img. 2021;14(6):1164-73.

23. Eugene Braunwald, Heart Journal, Volume 46, Issue 8, 21 February 2025, Pages 682–684.

24. Ronco et al. J Am Coll Cardiol 2008;52:1527.

25. McCullough et al. Contrib Nephrol 2013;182:82.

26. DeFronzo et al. Diabetes 2009;58:773.

27. Marwick et al. J Am Col Cardiol 2018;71:339.

28. Ndumele CE et al, American Heart Association. Circulation. 2023 Nov 14;148(20):1606-1635.

29. 1. Khan SS et al. Circulation 2024;149:430–49.

30. SCORE2-Diabetes Working Group and the ESC Cardiovascular Risk Collaboration, European Heart Journal, Vol. 44, Issue 28, July 2023, Pages 2544–2556.

31. Kidney Disease: Improving Global Outcomes (KDIGO) CKD Work Group. Kidney Int. 2024;105(4S):S117-S314.

32. Writing Group for the CKD Prognosis Consortium, Grams ME, Coresh J, et al. JAMA. 2023;330(13):1266-1277.

33. de Boer IHet al, Kidney Int. 2022;102(5):974-989.

34. Méndez Fernandez AB et al. Front Cardiovasc Med 2023;10:1185707.

35. Davies MJ et al, Diabetologia.2022 Sep 24;1-42. doi: 10.1007/s00125-022-05787-2. European Heart Journal, Volume 42, Issue

36, 21 September 2021, Pages 3599–3726.

36. McDonagh T, Metra M. et al. Eur Heart J. 2023 Oct 1;44(37):3627-3639.

37. Kidney Disease: Improving Global Outcomes (KDIGO) CKD Work Group. Kidney Int 2024;105 (Suppl. 4S):S117.

38. Andreozzi, F. et al., Diabetol Metab Syndr. 2020 Jun 17:12:52.

39. Almigbal TH et al, A Systematic Review. Medicina. 2023; 59(1):182.

40. Shin J et al, J Am Coll Cardiol. 2024; 84(8): 683-693.

41. Bozkurt B et al. Eur J Heart Fail. 2021;23:352.

42. Kittleson M et al. 2023. J Am Coll Cardiol. 2023 May, 81 (18) 1835-1878.

43. Grams ME et al. JAMA. 2023;330:1266–1277.

44. Khan SS, et al. Circulation 2023;148:1982–2004.

45. Ninomiya T et al. J Am Soc Nephrol. 2009;20:1813.

46. Heerspink HJL and Gansevoort RT. Clin J Am Soc Nephrol. 2015;10:1079–1088.

47. Inker LA, et al. Am J Kidney Dis 2014;63:713–735.

48. Standards of Care in Diabetes-2024. Diabetes Care. 2024 Jan 1;47(Suppl 1):S158-S178.

49. American Diabetes Association. Diabetes Care 2025;48:S1.

50. Daniel J. Drucker. Diabetes Care 2022; 45:1709-1714.

ВЪВЕДЕНИЕ

Острите чревни инфекциозни забо -

лявания са водеща причина за търсене на медицинска помощ в условия

на спешност, както и за хоспитали -

зации при деца в световен мащаб.

Острата диария се дефинира като

увеличена честота - три или повече изхождания на ден, с променена консистенция (воднисти или кашави) и

продължителност под 14 дни[1]. Пер -

систиращата диария започва като

остра, но е с продължителност над 14 дни, а тази на хроничната диариянад 4 седмици, като тя се дължи предимно на неинфекциозни причини[2].

Етиологичният спектър е широк и е

в зависимост от възраст, сезонност, експозиция на рискови фактори. В педиатричната популация преобладава вирусната етиология с представители като Rotavirus, Norovirus, Adenovirus и др. От бактериалните причинители по-чести са Campylobacter, Salmonella,

по-рядко се срещат Shigella, Shiga-токсин-продуциращи E. coli (STEC). Механизмите на

препоръчва перорална рехидратация

разтвори, а при средна до тежка дехидратация – включване и на венозни инфузии[2,3]. Кърменето не се прекъсва, ранното захранване подобрява хранителния статус и не удължава диарията. Употребата на антибиотици е само при специфични

последните препоръки на ESPGHAN (European Society for Paediatric Gastroenterology Hepatology and Nutrition) се

Средна продължителност на кли -

са хоспитализирани в рамките на до 48 часа от началото на оплакванията. Анализът на динамиката в броя изхождания показва ясно изразена тенденция към неговото намаляване в рамките на болничния престой. Средният брой изхождания е 6.1 в рамките на първия ден проследяване и стига до 2.7 на третия ден, което представлява редукция с 55.7%

от изходната стойност (≈2.3 пъти

по-малко) (Фиг. 4). Тази тенденция

демонстрира благоприятен клини -

чен отговор и съвпада с наблюдава -

ното подобрение в консистенцията

на изпражненията. Увеличава се про -

центът на нормалните изхождания

и намалява този на неустойчивите в

рамките на трите дни проследяване (Фиг. 5).

Наблюдава се също спад на случаите с коремната болка и повръщане в рамките на тридневния болничен

престой (Фиг. 6).

ОБСЪЖДАНЕ Острите чревни инфекциозни заболявания са сред водещите причини за отсъствие от детски заведения, а от своя страна – това води и до отсъствие от работа на родителите поради необходимост от придружаване на болно дете. В по-голямата част от случаите няма или не се налага етиологична терапия и оздравител -

процес изисква време за обратно развитие на симптомите. Адекватната рехидратация и спазването

възстановяване[5,7] При проведеното наблюдение се проследява динамиката в клиничния ход на остри чревни инфекциозни заболявания в детска възраст, налагащи хоспитализация. Голяма част от пациентите са хоспитализирани в рамките на 48 часа от началото на оплакванията, което дава възможност за адекватен подход в ранен етап на заболяването. Към провежданата симптоматична, патогенетична и при показания - етиологична терапия, е добавен и пробиотичен щам L. reuteri DSM 17938. От данните се вижда, че най-засегнати са пациентите в ранна детска възраст с преобладаване на мъжкия пол (Фиг. 1 и 2). Без съществено значение от

1. Nemeth V, Pfleghaar N. Diarrhea. [Updated 2022 Nov 21]. In: StatPearls [Internet]. Treasure Island (FL): StatPearls Publishing; 2025 Jan-. 2. World Health Organization (WHO), United Nations Children’s Fund (UNICEF), & The USAID Micronutrient Program (MOST). (2005). Diarrhoea treatment guidelines: Including new recommendations for the use of ORS and zinc supplementation for clinicbased healthcare workers. Arlington, VA: USAID/MOST Project.

T221117412/29.01.2018; BioGaia

3. Shane, A. L., Mody, R. K., Crump, J. A., & Tarr, P. I., et al. (2017). 2017 Infectious Diseases Society of America clinical practice guidelines for the diagnosis and management of infectious diarrhea. Clinical Infectious Diseases, 65(12), 1963–1973.

T221123460/05.06.2020; BioGaia

4. ESPGHAN/ESPID Guideline. (2014). Management of acute gastroenteritis in children.

5. Orel, R., & Szajewska, H. (2020). Probiotics in the management of acute gastroenteritis in children. Journal of Pediatric Gastroenterology & Nutrition, 71(2), 261–269.

терапевтична полза. ЗАКЛЮЧЕНИЕ Прилагането на L. reuteri DSM 17938 при деца с остра инфекциозна диария се свързва с намаляване на броя изхождания, подобрение на консистенцията и редукция на симптоми като повръщане и коремна болка. Данните подкрепят използването на пробиотика като част от

6. Guarino, A., et al. (2014). Efficacy of Lactobacillus reuteri DSM 17938 for the treatment of acute diarrhoea in children. Acta Paediatrica, 103(12), e300–e305.

05.06.2020;

7. Dinleyici, E. C., & PROBAGE Study Group, Vandenplas, Y. (2014). Lactobacillus reuteri DSM 17938 effectively reduces the duration of acute diarrhoea in hospitalised children. Acta Paediatrica, 103(7), e300–e305.

8. Iramain, R., Jara, A., Ortiz, J., Cardozo, L., & Morinigo, R. (2025). Lactobacillus reuteri Protectis DSM 17938 at high doses versus placebo in children with acute gastroenteritis in a pediatric emergency department. Journal of Pediatric Gastroenterology and Nutrition. 9.0 Dinleyici, E. C., & Vandenplas, Y. (2023). Therapeutic and preventive effect of Lactobacillus reuteri DSM 17938 for diarrheal diseases in children. BMC Gastroenterology, 23, 27.

T221123457/ 05.06.2020; BGA-article-diarrhea-children-EWO-BG-02290

ВЪВЕДЕНИЕ

Ендоскопската ултрасонография е

въведена в клиничната практика

през началото на 80-те години на XX

век. Първите ехоендоскопски апарати са разработени в Япония около

1980 г., а през 1982-1983 г. започват

и първите клинични интервенции. В

рамките на последните две десетилетия методът се разви динамично и се утвърди като ключов инструмент в съвременната гастроентерология.

В България ЕУС постепенно се внедри в специализираните центрове и вече се използва в пълния спектър от диагностични и терапевтични приложения, включително иновативните минимално инвазивни интервенции, характерни за големите европейски и световни ендоскопски центрове.

ТЕХНОЛОГИЧНИ ХАРАКТЕРИСТИКИ

НА МЕТОДА

ЕУС използва гъвкав ендоскоп, комбиниращ две основни функционални системи:

1. Визуална система – стандартна ендоскопска камера за оглед на лигавицата.

2. Ултразвукова система

стомаха и дуоденума и др.

ДИАГНОСТИЧНИ ПРИЛОЖЕНИЯ Диагностичният

широк и включва както структурна визуализация, така и тъканно вземане. Основните достъпи са:

• трансезофагеален

• трансгастрален

• трансбулбарен

• транспостбулбарен

• трансректален

• транссигмоидален

ЕУС-НАСОЧЕНА БИОПСИЯ Чрез тънкоиглена аспирационна биопсия (EUS-FNA) или тънкоиглена биопсия (EUS-FNB) могат да се получат проби за:

• хистологичен

СЪВРЕМЕННИ ИМПЛАНТИ Еволюцията на методиката преминава от полимерни двойни „pig-tail“ стентове към LAMS (Lumen-Opposing Metal Stent).

В съвременната практика се използват:

• Step-by-step (многоетапна техника) – по-бавна и с по-висок риск

• Hot-Spaxus – интегриран електрокаутер, по-бърза процедура • Hot-Axios – най-разпространена система, отличаваща

LAMS-lumen aposing metal stent fully covered -

LAMS-lumen aposing metal stent fully covered - макроскопски

то усложнение след остър панкреатит. При подходящи показания се извършва ЕУС-насочена трансгастрална или трансбулбарна кисто-гастростомия/кистобулбостомия.

ЕУС-насочено билиарно ендопротезиране При пациенти с малигнени заболявания често се наблюдава обструкция на дисталния ductus choledochus. При невъзможност за дренаж

чрез ЕРХПГ или при технически непостижим перкутанен трансабдоминален достъп, ЕУС

осигурява алтернативен път за дрениране.

ЕУС-насочена холедоходуоденостомия

Извършва се при:

• дистална билиарна стеноза

• невъзможност за канюлиране на ductus choledochus

• липса на перкутанна възможност

Процедурата позволява ефективна билиарна дезобструкция и води до бързо клинично подобрение.

Алтернативни методи за ЕУС-насочена би-

лиарна дезобструкция

При ограничен трансбулбарен достъп се използват:

• ЕУС-насочена холецистогастростомия –възможна при проходим ductus cysticus при малигнена патология • ЕУС-насочена холецистогастростомия при

LAMS-lumen aposing metal stent fully covered - ендоскопско

• ЕУС-насочена хепатикогастростомия

• ЕУС-насочена холедоходуоденостомия

LAMS-lumen aposing metal stent fully covered -

ЕУС-насочена гастро-ентеростомия при пациенти с малигнена непроходимост на стомах и тънко черво, които са контраиндицирани за оперативно лечение Тези подходи имат основно палиативна роля при пациенти с напреднали онкологични за

хепатит.

ДИСКУСИЯ

ЕУС се утвърждава като един от най-добрите минимално инвазивни методи за диагностика и лечение на панкреатобилиарните за -

болявания. Неговата прецизност, възможност за комбиниране на диагностика и терапия в

една сесия и ниската инвазивност го правят

предпочитан при редица клинични ситуации. Въпреки това класическият трансабдоминален достъп остава широко приложим

1. Localization of Pancreatic Endocrine Tumors by Endoscopic Ultrasonography. Authors: Thomas Rösch, Charles J. Lightdale, Jose F. Botet, M.D., Gregory A. Boyce, M.D., Michael V. Sivak, Jr., M.D., Kenjiro Yasuda, M.D., Norbert Heyder, M.D., Laurent Palazzo, M.D., Henryk Dancygier, Volker Schusdziarra, M.D., and Meinhard Classen, M.D.Author Info & Affiliations. Published June 25, 1992. N Engl J Med 1992;326:1721-1726.

DOI: 10.1056/NEJM199206253262601.VOL. 326 NO. 26

2. Endoscopic ultrasound in gastroenterology: From diagnosis to therapeutic implications Mohamed A Mekky 1,2, Wael A Abbas 1,2, Author information, Article notes, Copyright and License information, PMCID: PMC4069309

PMID: 24976718

Имуностимулация от природата

Ролята

на бета-глюкан,

ежедневната клинична практика

А. М. Анастасова ДКЦ "Света Марина" - Варна Катедра Обща медицина към Медицински университет -

Ключови думи: Имуностимулация,

номодулация, бета-глюкан, арабиногалактан, цинк, селен, остри респираторни инфекции, антибиотична резистентност, клинична практика.

ВЪВЕДЕНИЕ

Острите инфекции на горните дихателни пътища (ОИГДП) са най-честите инфекциозни заболявания при

хората, с честота 2 до 4 епизода/го -

дишно при възрастни и 6 до 10 епизода/годишно при деца. Диагности -

цират се най-често в условията на

общата медицинска практика (ОМП)

имат ясно изразена сезонност –

Когато антиген атакува системата на гос -

топриемника, два отделни, но взаимосвър -

зани клона на имунната система се активират - неспецифичният (вроден) и специфичен (адаптивен) имунен отговор. И двете системи имат определени физиологични меха -

низми, които позволяват на гостоприемника да разпознава чужди за себе си материали

и да ги неутрализира, елиминира или метаболизира. Адаптивният имунитет отново има два клона - хуморален

Имуностимуланти: Това са вещества, които активират имунната система нa хора и животни, с цел предотвратяване на заболявания и подобряване на естествената устойчивост на организма към различни вирусни и бактериални инфекции. Те могат да бъдат с природен или синтетичен произход. Индуцират синтеза на специфични антитела и цитокини за лечение и профилактика на инфекциозни заболявания.[19] Имуностимулантите могат да действат чрез вроден и адаптивен имунен отговор[20]. При здрави индивиди се очаква те да служат като профилактични средства, т.е. като имунопотенциатори чрез повишаване на основното ниво на имунитет, а при индивиди с нарушен имунен статускато имунотерапевтични средства[21]

ДВЕТЕ ОСНОВНИ ГРУПИ ИМУНОСТИМУЛАНТИ ВКЛЮЧВАТ: а) специфични имуностимуланти, действащи като антиген за стимулиране на имунните отговори (напр. ваксини); б) неспецифични имуностимуланти без анти -

генни свойства, усилващи имунните отговори

към други антигени (напр. адюванти)[22].

На Фиг. 2 са представени основните типове имуностимуланти и техните основни функции[22,23]

АРАБИНОГАЛАКТАНИ Широко използвана група имуностимуланти са арабиногалктаните. Арабиногалактановите протеини са разнообразен клас гли -

копротеини на клетъчната повърхност [24] Структурите на протеиновите и гликановите части на арабиногалактановите протеини са изключително разнообразни[25]. Арабиногалактановите протеини могат да бъдат разтворими сигнални молекули или да действат като модулатори и корецептори на апопластични морфогени. Амфифилната им молекулярна природа ги прави основни кандидати за медиатори между клетъчната стена, плазмената

вишаващи имунитета, включително Larch tree, Echinacea purpurea, Baptisia tinctoria, Thuja occidentalis, Angelica acutiloba и Curucuma longa, както и в лечебната гъба Ganoderma lucidum [31-33] . Арабиногалактанът, извлечен от дървото Американска лиственица (larch arabinogalactan) е признат от Американската агенция по храните като безопасен (GRAS- General Recognized as Safe) и е одобрен за употреба в храните [34] . Механизмите на имуностимулиращото действие включват индиректния ефект на продуциращите млечна киселина бактерии върху имунните клетки, продукцията на късоверижни мастни киселини (SCFA) и свързването към SCFA рецепторите на левкоцитите, но също

ефект [35-37]

Рандомизирано, двойносляпо, плацебо-контролирано

на 4 различни препарата от ехинацея, патентован арабиногалактан от лиственица (1.5 g/ден) и комбинация от арабиногалактан от лиственица и един от препаратите от ехинацея[32]. Проучването включва 48 жени на възраст между 22 и 51 години, разделени в 6 групи. След 4 седмици лечение е наблюдавано статистически значимо увеличение на комплементния пропердин в 2 от групите с ехинацея и групата, приемаща комбинацията от арабиногалактан от лиственица и ехинацея.[38] Рандомизирани, двойно-слепи, плацебо-контролирани проучвания показват, че 1.5-4.5 грама/дневно арабиногалактан подпомага адаптивния имунен отговор на организма. При здрави хора клинично проучване демонстрира, че арабиногалактан от лиственица увеличава потенциала на организма да

+/-

[39]

(Streptococcus pneumoniae и тетанус), ара -

биногалактанът от лиственица има доказан имуностимулиращ ефект [41]

Β-ГЛЮКАНИ Β-глюканите са друга група вещества с до -

казани имуностимулиращи свойства. Традиционно β-глюканът се счита за стимулатор на клетъчния имунитет [42] . Свързването на β-глюкана със специфичен рецептор (особено CR3 и Dectin-1) активира макрофагите. Това активиране се състои от ня -

колко взаимосвързани процеса,

ни реакции [напр. интерлевкин (IL)-1, IL-9 и TNF-α] [43] . Освен това, β-глюканът е широко използван като защита срещу

С помощта на

експериментални модела е доказано, че β-глюканът предпазва както от бактериални, така и от протозойни инфекции и повишава ефикасността на антибиотиците при инфекции с резистентни на антибиотици

с Leishmania major и L. donovani, C. albicans, Toxoplasma gondii, Streptococcus suis, Plasmodium berghei, Staphylococcus aureus, Escherichia coli, Mesocestoides corti, Trypanosoma cruzi, Eimeria vermiformis и Bacillus anthracis.

ния мозък макрофагите разграждат големите β-1,3-глюкани до по-малки разтворими β-1,3-глюканови фрагменти. Тези фрагменти впоследствие се поемат чрез комплементния рецептор 3 (CR3) на маргинализирани гранулоцити. Доказано е, че тези гранулоцити със свързан с CR3 β-глюкан-флуоресцеин убиват инактивирани с комплемент 3b (iC3b) туморни клетки, след като са били привлечени към място на активиране на комплемента, като например туморни клетки, покрити с моноклонално антитяло. Този процес е илюстриран на Фиг. 4 [46]

Накратко, β-глюканите действат върху разнообразие от имунно-свързани рецептори, по-специално Dectin-1 и CR3, и могат да предизвикат широк спектър от имунни отговори. Целевите имунни клетки на β-глюканите включват макрофаги, неутрофили, моноцити, NK клетки и дендритни клетки. Имуномодулиращите функции, индуцирани от β-глюканите, включват както вроден, така и адаптивен имунен отговор[46,47].

ЦИНК И СЕЛЕН Хранителните вещества в диетата, като например цинк и селен, играят решаваща роля за поддържането на оптимален имунен отговор и както недостатъчният, така и преко -

мерният прием могат да имат отрицателни последици върху имунния статус и чувствителността към различни патогени.

Селенът е необходим за правилното функциониране на неутрофилите, макрофагите, NK клетките, Т-лимфоцитите и някои други имунни механизми. Оптималният прием на селен е свързан с намален риск от рак и може да облекчи други патологични

състояния, включително оксидативен стрес и възпаление [48] . Селенът е ключово хранително

проучвания са проведени върху деца (на възраст под 18 години), а 22 проучвания са проведени върху възрастни. В сравнение с плацебо, приемът на цинк има роля в предотвратяването на заболяване (9 проучвания, 1449 души). Профилактичният ефект на приема на цинк също така води до намаляване продължителността на боледуването, при налично вече такова (3 проучвания, 740 участници). Цинкът, приеман с цел лечение не ОИГДП, може да намали продължителността на симптомите с приблизително два дни, в сравнение с плацебо (8 проучвания, 972 души)[52,53]

ПРОУЧВАНЕ В БЪЛГАРИЯ С КОМБИНАЦИЯ ОТ АРАБИНОГАЛАКТАН, БЕТА-ГЛЮКАН, ЦИНК И

СЕЛЕН

Проучване, проведено между 15 септември 2022 г. и 31 януари 2023 г. в България, сред 242 пациента показва, че здравословното състояние на пациентите се е подобрило

по време на приема на хранителната добав -

ка, съдържаща комбинация от бета-глюкан, арабиногалактан, цинк и селен. От една страна, броят епизоди на ОИГДП за периода на наблюдение е значимо по-малък от предходните 8 седмици, а от друга – значимо

по-малък от същия времеви интервал в предходната година. В допълнение към това, при първия епизод на ОИГДП се установява значимо подобрение в наличието и интензитета на 10 регистрирани симптома между 1 и 5 ден[37]

ЗАКЛЮЧЕНИЕ Прекомерната и неправилна употреба на антибиотични средства представлява глобален проблем. Природните имуностимуланти имат потенциала да бъдат част от решението му. Β-глюканите и арабиногалактаните

1. Palange P, Rohde G. ERS Handbook of Respiratory Medicine. European Respiratory Society; 2019.

2. Tobin EH, Thomas M, Bomar PA. Upper Respiratory Tract Infections With Focus on The Common Cold. StatPearls [Internet]. Treasure Island (FL): StatPearls Publishing; 2025 [cited 2025 Jul 30]. Available from: http://www.ncbi.nlm.nih.gov/books/ NBK532961/

3. Monto AS. Epidemiology of viral respiratory infections. Am J Med. 2002;112 Suppl 6A:4S-12S.

4. Vicheva D, Milkov M. Как да се справим с острите

International Bulletin of Otorhinolaryngology [Internet]. 2009 [cited 2025 Jul 29];5:48–9. Available from: https://journals.mu-varna.bg/ index.php/orl/article/view/7076

5. Jankowski A, Mleczko J. The use of immunostimulation in children with recurrent respiratory tract infections. Nowa Medycyna [Internet]. 2009 [cited 2025 Jul 29]; Available from: https://www.czytelniamedyczna. pl/1258,stosowanieimmunostymulacji-w-nawracajcychzakazeniach-drlg-oddechowych-udzieci.html

6. Naghavi M, Vollset SE, Ikuta KS, Swetschinski LR, Gray AP, Wool EE, et al. Global burden of bacterial antimicrobial resistance 1990–2021: a systematic analysis with forecasts to 2050. The Lancet [Internet]. 2024 [cited 2025 Aug 6];404:1199–226. Available from: https://www. thelancet.com/journals/lancet/ article/PIIS0140-6736(24)01867-1/ fulltext?hidemenu=true

7. Talebi Bezmin Abadi A, Rizvanov AA, Haertlé T, Blatt NL. World Health Organization Report: Current Crisis of Antibiotic Resistance. BioNanoSci [Internet]. 2019 [cited 2025 Aug 7];9:778–88. Available from: https:// doi.org/10.1007/s12668-019-00658-4

8. Petrunov B, Nenkov P, Shekerdjiisky R. The Role of Immunostimulants in Immunotherapy and Immunoprophylaxis. Biotechnology & Biotechnological Equipment [Internet]. 2007 [cited 2025 Jul 27];21:454–62. Available from: https://doi.org/10.1080/13102818.2 007.10817494

9. Werner GH, Jollès P. Immunostimulating Agents: What Next? European Journal of Biochemistry [Internet]. 1996 [cited 2025 Jul 27];242:1–19. Available from: https://onlinelibrary.wiley. com/doi/abs/10.1111/j.14321033.1996.0001r.x

10. McComb S, Thiriot A, Akache B, Krishnan L, Stark F. Introduction to the Immune System. In: Fulton KM, Twine SM, editors. Immunoproteomics: Methods and Protocols [Internet]. New York, NY: Springer; 2019 [cited 2025 Jul 26]. p. 1–24. Available from: https://doi. org/10.1007/978-1-4939-9597-4_1

11. Chaplin DD. Overview of the immune response. Journal of Allergy and Clinical Immunology [Internet]. 2010 [cited 2025 Jul 26];125:S3–23. Available from: https://www. sciencedirect.com/science/article/ pii/S0091674909028371

12. Yatim KM, Lakkis FG. A Brief

Journey through the Immune System. Clinical Journal of the American Society of Nephrology [Internet]. 2015 [cited 2025 Jul 25];10:1274. Available from: https://journals.lww. com/cjasn/abstract/2015/07000/a_ brief_journey_through_the_immune_ system.21.aspx

13. Tomar N, De RK. A Brief Outline of the Immune System. In: De RK, Tomar N, editors. Immunoinformatics [Internet]. New York, NY: Springer; 2014 [cited 2025 Jul 26]. p. 3–12. Available from: https://doi. org/10.1007/978-1-4939-1115-8_1

14. Kumar P, Rai S, Verma SK, Prakash PS, Chitara D. Classification, Mode of Action and Uses of Various Immunomodulators. In: Kesharwani RK, Keservani RK, Sharma AK, editors. Immunomodulators and Human Health [Internet]. Singapore: Springer Nature; 2022 [cited 2025 Jul 27]. p. 3–38. Available from: https:// doi.org/10.1007/978-981-16-6379-6_1

15. Banstola A, Jeong J-H, Yook S. Immunoadjuvants for cancer immunotherapy: A review of recent developments. Acta Biomaterialia [Internet]. 2020 [cited 2025 Jul 26];114:16–30. Available from: https://www.sciencedirect. com/science/article/pii/ S174270612030461X

16. Hill N, Sarvetnick N. Cytokines: promoters and dampeners of autoimmunity. Current Opinion in Immunology [Internet]. 2002 [cited 2025 Jul 26];14:791–7. Available from: https://www.sciencedirect. com/science/article/pii/ S095279150200403X

17. Abo-Zena RA, Horwitz ME. Immunomodulation in stem-cell transplantation. Current Opinion in Pharmacology [Internet]. 2002 [cited 2025 Jul 26];2:452–7. Available from: https://www. sciencedirect.com/science/article/ pii/S1471489202001741

18. Saroj P, Verma M, Jha KK, Pal M. AN OVERVIEW ON IMMUNOMODULATION. Journal of Advanced Scientific Research [Internet]. 2012 [cited 2025 Jul 26];3:7–12. Available from: https:// sciensage.info/index.php/JASR/ article/view/69

19. Labh SN, Shakya SR. Application of immunostimulants as an alternative to vaccines for health management in aquaculture.

20. Siwicki AK, Morand M, Terech-Majewska E, Niemczuk W, Kazuń K, Glabski E. Influence of immunostimulants on the effectiveness of vaccines in fish: in vitro and in vivo study. Journal of Applied Ichthyology [Internet]. 1998 [cited 2025 Jul 27];14:225–7. Available from: https://onlinelibrary.wiley.com/ doi/abs/10.1111/j.1439-0426.1998. tb00646.x

21. Ford SM. Introductory clinical pharmacology [Internet]. International edition. Lippincott Williams & Wilkins; 2021 [cited 2025 Jul 26]. Available from: https://cir.nii. ac.jp/crid/1130292771733876394

22. Shahbazi S, Bolhassani A. Immunostimulants: Types and Functions. Journal of Medical Microbiology and Infectious

Diseases [Internet]. 2016 [cited 2025 Jul 27];4:45–51. Available from: http://jommid.pasteur.ac.ir/article1-131-en.html

23. Galeotti M. Some aspects of the application of immunostimulants and a critical review of methods for their evaluation. Journal of Applied Ichthyology [Internet]. 1998 [cited 2025 Jul 27];14:189–99. Available from: https:// onlinelibrary.wiley.com/doi/ abs/10.1111/j.1439-0426.1998. tb00641.x

24. Silva J, Ferraz R, Dupree P, Showalter AM, Coimbra S. Three Decades of Advances in Arabinogalactan-Protein Biosynthesis. Front Plant Sci [Internet]. 2020 [cited 2025 Jul 29];11. Available from: https:// www.frontiersin.org/journals/ plant-science/articles/10.3389/ fpls.2020.610377/full

25. Leszczuk A, Kalaitzis P, Kulik J, Zdunek A. Review: structure and modifications of arabinogalactan proteins (AGPs). BMC Plant Biol [Internet]. 2023 [cited 2025 Jul 29];23:45. Available from: https:// doi.org/10.1186/s12870-023-040665

26. Seifert GJ, Roberts K. The Biology of Arabinogalactan Proteins. Annual Review of Plant Biology [Internet]. 2007 [cited 2025 Jul 27];58:137–61. Available from: https://www.annualreviews.org/ content/journals/10.1146/annurev. arplant.58.032806.103801

27. Showalter AM. Arabinogalactanproteins: structure, expression and function. CMLS, Cell Mol Life Sci [Internet]. 2001 [cited 2025 Jul 27];58:1399–417. Available from: https://doi.org/10.1007/PL00000784

28. Ellis M, Egelund J, Schultz CJ, Bacic A. Arabinogalactan-Proteins: Key Regulators at the Cell Surface? Plant Physiology [Internet]. 2010 [cited 2025 Jul 27];153:403–19. Available from: https://doi. org/10.1104/pp.110.156000

29. Beuth J, Ko HL, Oette K, Pulverer G, Roszkowski K, Uhlenbruck G. Inhibition of liver metastasis in mice by blocking hepatocyte lectins with arabinogalactan infusions and d-galactose. J Cancer Res Clin Oncol [Internet]. 1987 [cited 2025 Jul 29];113:51–5. Available from: https:// doi.org/10.1007/BF00389966

30. Beuth J, Ko HL, Schirrmacher V, Uhlenbruck G, Pulverer G. Inhibition of liver tumor cell colonization in two animal tumor models by lectin blocking with D-galactose or arabinogalactan. Clin Exp Metast [Internet]. 1988 [cited 2025 Jul 29];6:115–20. Available from: https:// doi.org/10.1007/BF01784842

31. Roxas M, Jurenka J. Colds and influenza: a review of diagnosis and conventional, botanical, and nutritional considerations. Altern Med Rev. 2007;12:25–48.

32. Classen B, Thude S, Blaschek W, Wack M, Bodinet C. Immunomodulatory effects of arabinogalactan-proteins from Baptisia and Echinacea. Phytomedicine [Internet]. 2006 [cited 2025 Jul 29];13:688–94. Available from: https://www. sciencedirect.com/science/article/

pii/S0944711305002242

33. Luettig B, Steinmüller C, Gifford GE, Wagner H, Lohmann-Matthes M-L. Macrophage Activation by the Polysaccharide Arabinogalactan Isolated From Plant Cell Cultures of Echinacea purpurea. JNCI: Journal of the National Cancer Institute [Internet]. 1989 [cited 2025 Jul 29];81:669–75. Available from: https://doi.org/10.1093/ jnci/81.9.669

34. Grube B, Stier H, Riede L, Gruenwald J. Tolerability of a Proprietary Larch Arabinogalactan Extract: A Randomized, DoubleBlind, Placebo-Controlled Clinical Trial in Healthy Subjects. 2012 [cited 2025 Jul 30];2012. Available from: http://www.scirp. org/journal/PaperInformation. aspx?PaperID=24490

35. Grieshop CM, Flickinger EA, Fahey GC. Oral administration of arabinogalactan affects immune status and fecal microbial populations in dogs. J Nutr. 2002;132:478–82.

36. Currier NL, Lejtenyi D, Miller SC. Effect over time of in-vivo administration of the polysaccharide arabinogalactan on immune and hemopoietic cell lineages in murine spleen and bone marrow. Phytomedicine. 2003;10:145–53.

37. Велковски В, Насева Е, Воденичаров В, Рамшев Н. НАМАЛЯВАНЕ ЧЕСТОТАТА И ТЕЖЕСТТА НА ОСТРИТЕ

СЛЕД УПОТРЕБА НА ХРАНИТЕЛНА ДОБАВКА С БЕТА-ГЛЮКАН, АРАБИНОГАЛАКТАН, ЦИНК И СЕЛЕН | EBSCOhost [Internet]. 2023 [cited 2025 Jul 26]. p. 25. Available from: https://openurl.ebsco.com/ contentitem/gcd:173082604?sid =ebsco:plink:crawler&id=ebsco:g cd:173082604

38. Udani JK. Immunomodulatory Effects of ResistAidTM: A Randomized, Double-Blind, PlaceboControlled, Multidose Study. Journal of the American College of Nutrition [Internet]. 2013 [cited 2025 Jul 29];32:331–8. Available from: https://doi.org/10.1080/07315724.2 013.839907

39. Riede L, Grube B, Gruenwald J. Larch arabinogalactan effects on reducing incidence of upper respiratory infections. Curr Med Res Opin. 2013;29:251–8.

40. Chen O, Sudakaran S, Blonquist T, Mah E, Durkee S, Bellamine A. Effect of arabinogalactan on the gut microbiome: A randomized, double-blind, placebo-controlled, crossover trial in healthy adults. Nutrition [Internet]. 2021 [cited 2025 Jul 30];90:111273. Available from: https://www.sciencedirect. com/science/article/pii/ S0899900721001350

41. Dion C, Chappuis E, Ripoll C. Does larch arabinogalactan enhance immune function? A review of mechanistic and clinical trials. Nutr Metab (Lond) [Internet]. 2016 [cited 2025 Jul 30];13:28. Available from: https://doi. org/10.1186/s12986-016-0086-x

42. Kofuji K, Aoki A, Tsubaki K, Konishi M, Isobe T, Murata Y.

Antioxidant Activity of β-Glucan. International Scholarly Research Notices [Internet]. 2012 [cited 2025 Jul 30];2012:125864. Available from: https://onlinelibrary.wiley.com/doi/ abs/10.5402/2012/125864

43. Vetvicka V. Glucanimmunostimulant, adjuvant, potential drug. World J Clin Oncol [Internet]. 2011 [cited 2025 Jul 30];2:115–9. Available from: https:// www.ncbi.nlm.nih.gov/pmc/articles/ PMC3095473/

44. Nakao I, Uchino H, Orita K, Kaido I, Kimura T, Goto Y, et al. [Clinical evaluation of schizophyllan (SPG) in advanced gastric cancer--a randomized comparative study by an envelope method]. Gan To Kagaku Ryoho. 1983;10:1146–59.

45. Hong F, Yan J, Baran JT, Allendorf DJ, Hansen RD, Ostroff GR, et al. Mechanism by which orally administered beta-1,3-glucans enhance the tumoricidal activity of antitumor monoclonal antibodies in murine tumor models. J Immunol. 2004;173:797–806.

46. Chan GC-F, Chan WK, Sze DM-Y. The effects of β-glucan on human immune and cancer cells. J Hematol Oncol [Internet]. 2009 [cited 2025 Jul 31];2:25. Available from: https://doi. org/10.1186/1756-8722-2-25

47. Murphy EA, Davis JM, Carmichael MD. Immune modulating effects of β-glucan. Current Opinion in Clinical Nutrition & Metabolic Care [Internet]. 2010 [cited 2025 Jul 31];13:656. Available from: https://journals.lww.com/coclinicalnutrition/abstract/2010/11000/ immune_modulating_effects_of___ glucan.10.aspx

48. El-Bayoumy K. The protective role of selenium on genetic damage and on cancer. Mutat Res. 2001;475:123–39.

49. Ferenčík M, Ebringer L. Modulatory effects of selenium and zinc on the immune system. Folia Microbiol [Internet]. 2003 [cited 2025 Jul 31];48:417–26. Available from: https://doi.org/10.1007/BF02931378

50. Field CJ, Johnson IR, Schley PD. Nutrients and their role in host resistance to infection. J Leukoc Biol. 2002;71:16–32.

51. Nazari N, Niazvand F, Chamkouri N, Amoori N, Asl MS. Role of zinc, selenium, vitamin D and vitamin C in boosting respiratory system: A meta-analysis approach. Medical Science [Internet]. 2022 [cited 2025 Aug 2];26:1. Available from: http://discoveryjournals.org/ medicalscience/current_issue/v26/ n121/ms77e1837.htm

52. Nault D, Machingo TA, Shipper AG, Antiporta DA, Hamel C, Nourouzpour S, et al. Zinc for prevention and treatment of the common cold. Cochrane Database Syst Rev [Internet]. 2024 [cited 2025 Aug 2];2024:CD014914. Available from: https://www.ncbi.nlm.nih.gov/ pmc/articles/PMC11078591/

53. Hulisz D. Efficacy of Zinc Against Common Cold Viruses: An Overview. Journal of the American Pharmacists Association [Internet]. 2004 [cited 2025 Aug 2];44:594–603. Available from: https://www. sciencedirect.com/science/article/pii/ S1544319115317908

Д.

Пазарджиклиев1,2 , З. Въжев3,4 , Д. Вичева1,2 , В. Бурова1 , Б. Яворов3,4

1УНГ Клиника, УМБАЛ „Каспела“ – Пловдив 2Катедра УНГ болести, МУ – Пловдив

3Клиника по Гръдна хирургия, УМБАЛ “Каспела” – Пловдив 4Катедра ССХ, МУ – Пловдив

Шията

хирургично предизвикателство

ВЪВЕДЕНИЕ Шийната област представлява една от най-честите анатомични зони за развитие на метастатични лимфни формации, произхождащи от първични карциноми на глава и шия, както и от някои висцерални органи. Според литературни данни, над 6070% от пациентите с плоскоклетъч-

(Shah et al.,

Piazza et al., 2019).

ластта на шията се проявяват при неустановен първичен източник (CUP – carcinoma of unknown primary), въпреки съвременните образни и ендоскопски методи (Civantos et al., 2021).

КЛИНИЧНИ СЛУЧАИ И НАБЛЮДЕНИЯ

Шията, богата на лимфни и съдови анатомични структури, представлява естествен „резонатор“ на патологични процеси, произхождащи от различни органи – ларинкс, фаринкс, устна кухина, щитовидна жлеза, а понякога дори от далечни първични локализации.

За хирурга това означава не просто оперативна намеса, а диагностично пътешествие, при което всяка дисекция и всеки лимфен възел

може да се окажат ключ към истинския произход на заболяването.

За по-ясна илюстрация на диагностичните и хирургичните предизвикателства при форма -

ции на шията с неизвестно първично огнище, представяме серия от пет клинични случая, подбрани от практиката на клиника по УНГ болести, УМБАЛ „Каспела“.

Всеки от тях демонстрира различен аспект на проблема – от типични плоскоклетъчни метастази до редки хистологични варианти и дори случаи, при които първичното огнище остава недостъпно за идентификация.

чество

Случай

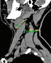
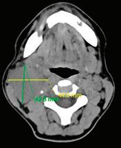
подготовка на пациента за кардиохирургична оперативна интервенция в обем 3 аорто-коронарни байпаса. От проведената КТ се установява хетероденсна формация на ниво II шиен лимфен колектор, с размери 13/18 мм. От анамнезата няма данни за болка, дисфагия, диспнея или дисфония. При наблюдение в следоперативния период се отчита постепенно нарастване на размера на формацията.

Поради динамика в локалния статус пациентът се насочва за консултация и последващо лечение в УНГ клиника, където от проведените образни изследвания (КТ, УЗД) се на -

блюдава хетероденсна мекотъканна формация с размери 25/28 мм, наличие на кистични

зони в обема й и лифмни възли по съседство.

След ексцизионна биопсия, хистологията до -

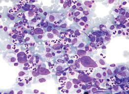
казва масивна метастаза от умерено диференциран плоскоклетъчен карцином. Насоченото

чен източник.

Случай 2: Метастатична шийна формация при тироиден карцином

месеца.

ласт от специалист ендокринолог, където е визуализиран суспектен

огнищ-

ни промени. При ТАБ – без данни за малигнитет. Пациентката се

мация, разположена пред а. каротис комунис декстра, със съмнение

тумор и значението на повторното образно изследване след хистологична диагноза.

Случай 3: Метастатична шийна

жена, А.С., постъпва с плътна, неболезнена, прогресивно нарастваща формация на шията вдясно, ниво III, която причинява и лекостепенна дисфагия. Липсват оплаквания от страна на горните дихателни пътища, температура или нощно изпотяване. Ехографското изследване показва хомо

контролна КТ, с данни за лимфогенна шийна диссеминация двустрнно. Извършена радикална

шийна лимфна дисекция двустранно, с хистологичен резултат метастази от умерено диференциран невроговяващ плоскоклетъчен карцином. Три месеца по-късно при проведен контролен ПЕТ/КТ данни за зави -

шена метаболитна активност на ляв шиен

лимфен възел ниво II. Предприе се ексцизия

на същия с хистологичен резултат масив -

на метастаза от невроговяващ плоскоклетъчен карцином. Три месеца по-късно проведен повторен контролен ПЕТ/КТ, от който са

На 8-ми следоперативен ден възникнаха оплаквания от остри болки в умбиликална и дясна илиачна област и липса на флатуленция и дефекация. Консултирана с хирург и извършена обзорна графия на корем с данни за хидроаерични нива в десен коремен фланг. Приложи се консервативна терапия с положителен ефект върху симптоматиката. На 10-ти следоперативен ден в левия дрен се забеляза мътно съдържимо, което се изпрати за биохимичен анализ, с установени завишени нива на амилаза, което е важен диагностичен белег, насочващ към фистулна комуникация между фаринкса и кожата – т.нар. pharyngocutaneus fistula. Предприе се консервативен терапевтичен подход, включващ стриктно наблюдение, поддържащо лечение, дренаж на секрета, антибиотична терапия.

Коментар: Този случай е изключително показателен за сложността на диагностичния процес при шийни метастази от редки първични лока-

лизации.

чес

то се проявява първоначално чрез регионална лимфна метастаза.Диференциалната диагноза изисква изключване на аденокарциноми от

други органи (щитовидна жлеза, бял дроб, гастроинтестинален тракт), което налага детайлна имунохистохимична и образна оценка.

ЗАКЛЮЧЕНИЕ

Представените клинични случаи

илюстрират многообразието в етиологията на шийните формации, въпреки сходната клинична изява. Така диагностичният процес

1. Otolaryngol Head Neck Surg. 2019;160(5):845–851.

2. Sajid MS, et al. A multicenter review of carotid body tumour management. Eur J Vasc Endovasc Surg. 2017;53(5):700–708.

3. Shah JP, Patel SG, Singh B. Head and Neck Surgery and Oncology. 5th ed. Elsevier; 2020

4. Piazza C, et al. Neck metastases in head and neck squamous cell carcinoma: Prognostic significance and management. Cancers (Basel). 2019;11(9):1310.

5. Haugen BR, et al. 2015 American Thyroid Association Management Guidelines for Adult Patients with Thyroid Nodules and Differentiated Thyroid Cancer. Thyroid. 2016;26(1):1–133.

6. Civantos FJ, et al. Metastatic carcinoma of the neck from an unknown primary: Updated management guidelines. Head Neck. 2021;43(7):1980–1996.

7. Brierley JD, Gospodarowicz MK, Wittekind C (eds). TNM Classification of Malignant Tumours. 8th ed. Wiley-Blackwell; 2017.

8. Shah JP, Patel SG. Head and Neck Surgery and Oncology. 5th ed. Elsevier; 2020

9. Barnes L, Eveson JW, Reichart P, Sidransky D, editors. Pathology and Genetics of Head and Neck Tumours. WHO/IARC Press; 2018.

10. Swerdlow SH, Campo E, Harris NL, et al. WHO Classification of Tumours of Haematopoietic and Lymphoid Tissues. Revised 4th ed. Lyon: IARC Press; 2017.

11. Marur S, Forastiere AA. Head and neck squamous cell carcinoma: Update on epidemiology, diagnosis, and treatment. Mayo Clin Proc. 2016;91(3):386–396.

ВЪВЕДЕНИЕ

ТЕРАПИЯТА

Субхордалният ларингит, известен още като croup или ларинготрахео -

бронхит, е предимно вирусно заболяване, предизвикано най-често от

парагрипните вируси[1]. Патофизио -

логична основа на клиничната картина е възпалението и отокът на субхордалната област - най-тесният сегмент на детските дихателни пътища. Това налага спешно лечение за предотвратяване на пълна обструкция или друго усложнение на дихателните пътища.

ИСТОРИЧЕСКА ЕВОЛЮЦИЯ НА

ТЕРАПИЯТА В началото на 50-те и 60-те години на XX век лечението на субхордал -

ларингит е било изключител -

като основна терапевтична интервенция в продължение на десетилетия. Нерядко са били използвани и седативи за успокояване на възбудените деца. Антибиотиците също са били широко прилагани, въпреки вирусната етиология, отразявайки ограниченото разбиране на заболяването. Последното средство за лечение е била трахеотомията.

През последните седем десетилетия обаче, терапевтичният подход при

круп е претърпял радикална трансформация.

Революцията започва с въвеждането на рацемичен епинефрин за небулизация, който демонстрира драматично бързо подобрение на симптомите. През 1978 г. Westley et al. не само провеждат първото кон -

се ефикасността на небулизиран будезонид, сравняват се различни кортикостероидни режими[3]. През 1999 г. Ausejo et al. публикуват голям мета-анализ за ефективността на стероидната терапия при круп, демонстрирайки значителната им клинична полза[4] В наши дни, след събраните Cochrane систематични прегледи, консолидиращи доказателствена база и формулиращи ясни международни насоки, фокусът се измества вече към оптимизация на дозирането, идентификация на най-ефек-

Westley Score

1 Westley Croup Severity Score

Тежък

тахипнея, лека възбуда

Постоянен кашлица, изразен стридор, тежки ретракции, хипоксемия, летаргия

лидирана в множество проучвания с демон -

стрирана отлична надеждност между различните наблюдатели (коефициент 0.91)

Според някои автори обаче, нейното пре -

димство е по-скоро за уеднаквяване на клиничните проучвания, отколкото за клинична оценка[2,5]

ВРЪЗКА МЕЖДУ WESTLEY SCORE И ТЕРАПЕВТИЧЕН ОТГОВОР

Westley Score не само стратифицира тежестта на състоянието, но и предсказва терапевтичния отговор и необходимостта от интензифициране на грижите[6]. Деца с начален Westley Score ≤2 имат <5% риск от хоспитализация след дексаметазон[7]. При Score 3-5, рискът

Дексаметазон +

епинефрин, наблюдение 2-4 ч., селективна хоспитализация

Хоспитализация (ICU), дексаметазон + епинефрин, респираторна подкрепа

влошаване на score-а, въпреки терапия, налага хоспитализация, разглеждане на алтернативни диагнози.

ГЛЮКОКОРТИКОИДНА ТЕРАПИЯ Глюкокортикоидите имат множество противовъзпалителни ефекти, критични за редукция на субглотичния оток. Молекулярните механизми включват: (1) инхибиция на транскрипцията на провъзпалителни цитокини (IL-6, TNF-α, IL-1β) чрез супресия на NFκB, (2) редукция на капилярната пропускливост и васкуларния оток, (3) инхибиция на левкоцитната миграция, (4) потенцииране на β-адренергичната реактивност, (5) индукция на апоптоза на еозинофили и Т-лимфоцити[10]

2023г. Russell et al. с актуализиран ме

питализация с 48%, при плацебо честота 30.62%, с NNT=7.

3. Редуцират хоспитализацията на деца с круп с 56%, според оценката

деление[11]

Дексаметазон - препарат на избор Дексаметазонът притежава оптимални фармакокинетични характеристики за приложение при круп: дълъг биологичен полуживот (36-54 часа), позволяващ еднократно

дозиране; изключително висока глюкокортикоидна потентност (25-30 пъти по-висока от кортизол), осигуряваща мощен противовъзпалителен ефект при относително ниски

дози; минимална минералокортикоидна активност, избягваща електролитни нарушения и висока перорална биодостъпност (8090%), правейки пероралния път достатъчно ефективен[12]

Стандартната доза от 0.6 mg/kg (максимум 10-16 mg) перорално, интрамускулно или интравенозно в зависимост от клиничните обстоятелства[11]. Критичен въпрос е дали по-ниски дози са еквивалентно ефективни. През 1995 г. Geelhoed and Macdonald сравняват 0.15, 0.3 и 0.6 mg/kg при 123 деца и не установяват статистически значими разлики в клиничното подобрение (средна редукция на croup score 2.3, 2.5 и 2.4 точки съответно, p=0.8) или честота на повторни презентации (7%, 8%, 6%, p=0.9)[13]. Chub-Uppakarn and Sangsupawanich, обаче репликират тези находки при умерен круп[14]

Въпреки доказателствата за еквивалентност, в мета-анализа си Russell et al. посочват 0.6 mg/kg като стандартна доза, осигуряваща максимална сигурност за ефикасност и из -

бягване нуждата от повторно дозиране[6]. По отношение на начина на приложение, Sparrow and Geelhoed в рандомизирано-контролирано проучване (n=376) демонстрират пълна еквивалентност на перорален с интрамускулен дексаметазон: средна разлика в croup score на 4-ия час 0.1 точки (95% CI -0.3 до 0.5, p=0.6), честота на повторни

използват 0.15 mg/kg, 31% използват 0.6 mg/kg универсално, и 17% титрират според тежестта, отразявайки фармакоикономически съображения и британски проучвания, демонстриращи ефикасност и на по-ниски дози[18]. Германия следва систематична титрация (0.15 mg/kg за лек, 0.3 mg/kg за умерен, 0.6 mg/kg за тежък), отразявайки философията на индивидуализирана грижа. Австралия представлява хибриден модел с 61% титриране и 28% универсална висока доза[19] Метилпреднизолон - алтернатива при специфични обстоятелства Метилпреднизолонът притежава междинен биологичен полуживот (18-36 часа) и глюкокортикоидна потентност приблизително 5 пъти по-висока от кортизол,

вания[20] Дозирането е 1-2 mg/kg интравенозно или интрамускулно (максимум 60-125 mg). Международната употреба варира значително: САЩ и Канада демонстрират рядка употреба (5-8% и <2%), ограничена до ситуации където дексаметазонът не е наличен[17,19]. Англия показва сходна ниска употреба (3-5%) [21]. Германия е умерена (10-15%), предимно при тежъки форми в интензивните отделения. Япония демонстрира ниска употреба (5-8%), като дексаметазонът е ясно

ват небулизиран будезонид с интра -

мускулен дексаметазон при умерен

до тежък крупи и установяват клинична еквивалентност (хоспитализация 22% срещу 24%, p=0.8)[3]

Въпреки ефикасността, будезонидът не демонстрира превъзходство над дексаметазон, но е асоцииран с по-висока стойност, необходимост

от небулизатор и обучен персонал, по-дълго време за администрация (10-15 минути) и потенциален дискомфорт за детето[20]. Ето защо, будезонидът според някои автори е

оставен за ситуации с невъзможност за перорален прием, където интрамускулната/интравенозна администрация не е предпочитана[23] И тук международната употреба варира значително: Канада (3%), САЩ (15%), Англия (5%) демонстрират ниска употреба, фокусирайки се

върху дексаметазон като първа линия[17,16,18]. В контраст, Германия и осо -

бено Япония (45-50%) демонстрират

високa употреба[22]. Сравнително често, макар и да няма точни данни, будезонидът се употребява и у нас.

Епинефрин

Небулизираният епинефрин действа чрез α-адренергична вазоконстрикция на прекапилярните артериоли в субглотичната лигавица, водеща до бърза редукция на отока и подобрение на въздушния поток[2]. Ефектът е забележително бърз (значително подобрение за 10-30 минути), но транзиторен (продължителност 2-4 часа), което налага комбинирането им с кортикостероиди[24].

Bjornson et al. в Cochrane анализ на 8 рандомизирани контролирани проучвания, обхващащи 225 деца с круп демонстрират, че небулизираният епинефрин значително редуцира croup score-а на 30-та минута (SMD -1.31, 95% CI -2.01 до -0.61, p<0.001).

Въпреки това, епинефринът не редуцира

ната терапия[8]

Епинефринът е ясно индициран при умерен до тежък крупи (Westley Score ≥3)[27]. Относно дозирането L-епинефрин 1:1000 - 5 ml небулизиран или рацемичен епинефрин 2.25% - 0.5 ml в 2.5 ml физиологичен разтвор. Waisman et al. демонстрират еквивалентност (средна редукция на croup score 1.9 срещу 2.1 точки, p=0.7). L-епинефринът е предпочитан поради по-широка наличност и по-ниска стойност [25]

И тук международните практики варират. САЩ и Канада демонстрират широка употреба при умерен круп (92% и 88%), с наблюдение от 2-4 часа, отразявайки агресивен подход за бързо симптоматично облекчение[17,26]. Германия и Австралия показват сходна широка употреба и по-дълго наблюдение в Германия (4-6 часа)[19]. Англия е по-рестриктивна, ограничавайки епинефрина само до тежки случаи[21].

Традиционните опасения за "rebound" ефект са мотивирали продължителното наблюдение на децата. Въпреки това, Hartling et al. в мета-анализ от 2006 г. не установяват повишен риск от клинично значимо влошаване (RR 0.69, 95% CI 0.26-1.84, p=0.5), като истинският rebound е изключително рядък (<1%)[27]. По-скоро се касае за изчерпване на ефекта на медикамента. При комбинирана терапия с кортикостероиди и задоволително подобрение, 2-4-часово наблюдение е достатъчно[24]. КОМБИНИРАНА ТЕРАПИЯ И ПОДДЪРЖАЩА

Moore and Little категорично демонстрират липса на полза от oвлажнен въздух и хумидификацията не се препоръчва[28]. Въпреки това, персистира употреба й в Германия (78%), някои азиатски страни, както и масово в България.

Антибиотиците нямат роля при неусложнен вирусен круп и са индицирани само при бактериален трахеит (<1%)[29]

Антитусивни, муколитици и седативи са противопоказани, поради риск от респираторна депресия и маскиране при влошаване на състоянието[9] БЪЛГАРСКА КЛИНИЧНА ПРАКТИКА ПРИ СУБХОРДАЛЕН ЛАРИНГИТ Българската клинична практика при субхордален ларингит демонстрира отклонения от международните доказателствено-базирани стандарти, отразявайки липса на унифицирани национални насоки, вариабилност

между центрове и бавна интеграция на съвременните международни препоръки.

Според неофициални данни в Бъл -

гария метилпреднизолонът демонстрира много висока употреба от педиатри, спешни медици и УНГ специалисти в амбулатории, спешни центрове, болници. Приложението му е интрамускулно или интравенозно. Предпочитането му отразява

отбележи, че в България все още

няма детска перорална форма на

кортикостероид. Будезонидът също се използва в България, нерядко и като монотерапия.

Българската практика демонстрира умерена до консервативна употреба

на небулизиран епинефрин при умерен круп, като епинефринът често

се използва за по-тежки случаи, но

не и масово в спешните центрове.

Това е в контраст с широката употре -

ба в Канада (88%), САЩ (92%), и Ав -

стралия, където епинефринът се из -

ползва агресивно при умерен круп

за осигуряване на бързо симптома -

тично облекчение[28,29,32]. Консерва -

тивният български подход може да

води до пропуснати възможности за

бързо подобрение на респиратор -

ния дистрес и потенциално по-дълга

хоспитализация. Обзервационният

период след епинефрин в България

е различен, по-консервативен от ка -

надските 2 часа минимум, но сходен с германската практика[31,53].

Инхалациите с физиологичен разтвор продължават масово да се из -

ползват в българските центрове, въ -

преки доказателства от проучвания в Cochrane, демонстриращи пълна липса на клинична полза (SMD -0.05,

1. A Prospective Three-Year Cohort Study of the Epidemiology and Virology of Acute Respiratory Infections of Children in Rural India: A Prospective Three-Year Cohort Study of the Epidemiology and Virology of Acute Respiratory Infections of Children in Rural India. PLoS One.

2. Westley, C.R., Cotton, E.K., Brooks, J.G.: Nebulized Racemic Epinephrine by IPPB for the Treatment of Croup: A Double-Blind Study. American Journal of Diseases of Children. 132, (1978). https://doi.org/10.1001/ archpedi.1978.02120300044008

3.https://www.texaschildrens.org/ sites/default/files/uploads/documents/ outcomes/standards/Croup%20Guideline_ update%208.9.2021.pdf

4. Johnson, D.W., Jacobson, S., Edney, P.C., Hadfield, P., Mundy, M.E., Schuh, S.: A Comparison of Nebulized Budesonide, Intramuscular Dexamethasone, and Placebo for Moderately Severe Croup. New England Journal of Medicine. 339, (1998). https://doi. org/10.1056/nejm199808203390802

5. Bjornson CL, J.DW.: Croup. Lancet. . 329–339 (2008)

p=0.78). Тази персистираща употреба отразява традиционни подходи, родителски очаквания и бавна интеграция на доказателствата за неефективност. Според повечето проучвания хумидификацията не само е неефективна, допълнително може да ажитира детето, но и отнема ресурси и персонал, а може дори да забави администрацията на ефективни терапии[28].

СПЕЦИАЛНИ СИТУАЦИИ И ПРОГНОЗА Рецидивиращ круп: Приблизително 5-15% развиват рецидивиращ крупи (≥3 епизода). Лечението е идентично, но изисква изследване за анатомични аномалии. Brockbank and Swift демонстрират 31% аномалии при ларингоскопия, налагащи насочване към оториноларинголог. Бактериална трахеит: Рядко (<1%), но тежко усложнение със суперинфекция (S. aureus), изискващо интензивна грижа, широкоспектърни антибиотици (ванкомицин + цефалоспорин), ларингоскопия и често интубация (40-80%).

Интубация: Необходима при 1-3% от хоспитализираните деца с круп. Индикации: прогресираща недостатъчност, изтощение, PaCO₂ >5560 mmHg. Използване на по-малка ендотрахеална тръба (0.5-1.0 mm

6. Kelly F RussellYuanyuan LiangKathleen O’GormanDavid W JohnsonTerry P Klassen: Glucocorticoids for croup. Cochrein. (2023)

7. Bjornson, C., Russell, K., Vandermeer, B., Klassen, T.P., Johnson, D.W.: Nebulized epinephrine for croup in children, (2013)

8. Klassen, T.P., Feldman, M.E., Watters, L.K., Sutcliffe, T., Rowe, P.C.: Nebulized Budesonide for Children with Mild-toModerate Croup. New England Journal of Medicine. 331, (1994). https://doi. org/10.1056/nejm199408043310501

9. Johnson: Croup. BMJ Clin Evid. (2014)

10. Bjornson, C.L., Klassen, T.P., Williamson, J., Brant, R., Mitton, C., Plint, A., Bulloch, B., Evered, L., Johnson, D.W.: A Randomized Trial of a Single Dose of Oral Dexamethasone for Mild Croup. New England Journal of Medicine. 351, (2004). https://doi. org/10.1056/nejmoa033534

11. Cherry, J.D.: Clinical practice. Croup. N Engl J Med. 358, (2008)

12. Ausejo, M., Saenz, A., Pham, B., Kellner, J.D., Johnson, D.W., Moher, D., Klassen, T.P.: The effectiveness of glucocorticoids in treating croup: Meta-analysis. Br Med

J. 319, (1999). https://doi.org/10.1136/ bmj.319.7210.595

13. Rhen, T., Cidlowski, J.A.: Antiinflammatory Action of Glucocorticoids — New Mechanisms for Old Drugs. New England Journal of Medicine. 353, (2005). https://doi.org/10.1056/nejmra050541

14. Czock, D., Keller, F., Rasche, F.M., Häussler, U.: Pharmacokinetics and pharmacodynamics of systemically administered glucocorticoids, (2005)

15. Geelhoed, G.C., Macdonald, W.B.G.: Oral dexamethasone in the treatment of croup: 0.15 mg/kg versus 0.3 mg/kg versus 0.6 mg/ kg. Pediatr Pulmonol. 20, (1995). https://doi. org/10.1002/ppul.1950200605

16. Chub-Uppakarn, S., Sangsupawanich, P.: A randomized comparison of dexamethasone 0.15 mg/kg versus 0.6 mg/ kg for the treatment of moderate to severe croup. Int J Pediatr Otorhinolaryngol. 71, (2007). https://doi.org/10.1016/j. ijporl.2006.11.016

17. Sparrow, A., Geelhoed, G.: Prednisolone versus dexamethasone in croup: A randomised equivalence trial. Arch Dis

по-малка).

Прогноза: Отлична: 85% амбулаторно подобрение, 5-10% хоспитализация, 1-3% ICU, <0.5% интубация, морталитет <0.5%.

ЗАКЛЮЧЕНИЕ Субхордалният ларингит изисква доказателствено-базиран подход с еднократна доза дексаметазон

Child. 91, (2006). https://doi.org/10.1136/ adc.2005.089516

18. Hester, G., Nickel, A.J., Watson, D., Maalouli, W., Bergmann, K.R.: Use of a Clinical Guideline and Orderset to Reduce Hospital Admissions for Croup. Pediatrics. 150, (2022). https://doi.org/10.1542/peds.2021053507

19. Canada: https://cps.ca/en/documents

20. Roland, D., Davies, F., Coats, T.: O-009a The Paediatric Observation Priority Score (pops): Outcomes Of 24000 Patients. Arch Dis Child. 99, (2014). https://doi.org/10.1136/ archdischild-2014-307384.77

21. Australia: https://www.rch.org.au/ clinicalguide/guideline_index/Acute_upper_ airway_obstruction/

22. Klassen, T.P.: A current perspective. Pediatr Clin North Am. 46, (1999). https://doi. org/10.1016/S0031-3955(05)70180-2

23. NICE: https://cks.nice.org.uk

25. Gates, A., Gates, M., Vandermeer, B., Johnson, C., Hartling, L., Johnson, D.W., Klassen, T.P.: Glucocorticoids for croup in children, (2018)

26. Allen, D.B., Mullen, M. Lou, Mullen, B.: A meta-analysis of the effect of oral and inhaled corticosteroids on growth. J Allergy Clin Immunol. 93, (1994). https://doi. org/10.1016/S0091-6749(94)70043-5

27. Waisman, Y., Klein, B.L., Boenning, D.A., Young, G.M., Chamberlain, J.M., O’Donnell, R., Ochsenschlager, D.W.: Prospective randomized double-blind study comparing L-epinephrine and racemic epinephrine aerosols in the treatment of laryngotracheitis (croup). Pediatrics. 89, 302–6 (1992)

28. AAP: https://www.aap. org/?srsltid=AfmBOorqoOarZ-t50vd7gWjBknlK_ hWkCX5r152YK4PyVRY2cx3N0Q89

24. Ishiwada, N., Shinjoh, M., Kusama, Y., Arakawa, H., Ohishi, T., Saitoh, A., Suzuki, A., Tsutsumi, H., Nishi, J., Hoshino, T., Mitsuda, T., Miyairi, I., Iwamoto-Kinoshita, N., Kobayashi, H., Satoh, K., Shimizu, A., Takeshita, K., Tanaka, T., Tamura, D., Tokunaga, O., Tomita, K., Nagasawa, K., Funaki, T., Furuichi, M., Miyata, I., Yaginuma, M., Yamaguchi, Y., Yamamoto, S., Uehara, S., Kurosaki, T., Okada, K., Ouchi, K.: Guidelines for the Management of Respiratory Infectious Diseases in Children in Japan 2022, (2023)

Вродена CMV инфекция:

скритата

ВЪВЕДЕНИЕ

Човешки херпес вирус тип 5, познат

като цитомегаловирус (CMV) е ДНК

вирус от сем. Herpesviridae. През 1964 г. Medearis за първи път опис -

ва вродената CMV инфекция в кон -

текста на загубата на слуха. Счита се, че CMV инфекцията е отговорна за приблизително 21% от случаите на загуба на слуха, установени при

раждане, и за 25% от случаите до 4-годишна възраст. Това определя CMV като водеща етиологична причина за негенетична невросензорна

зависимост от географския регион и социодемографски фактори, като възраст, раса и етническа принадлежност. Данни от мета-анализ, проведен от de Vries JJ et al. показват, че по-голямата част от случаите на cCMVI в повечето популации са резултат от не-първични майчини инфекции [3,4]

Трансмисията на CMV се осъществява посредством контакт със заразени телесни течности (напр. слюнка, урина, кръв, генитални секрети). Основният

дишна възраст. Данните на Lanzieri et al. по -

казват, че 2% от децата с асимптоматична cCMVI развиват невросензорна загуба на слуха, която е достатъчно тежка, за да наложи кохлеарна имплантация[7,8]

Симптоматичните новородени с cCMVI представляват около 10% като клиничният спектър е твърде обширен от леко, средно-тежки прояви до тежко мултиорганно засягане. Могат да се установят микроцефалия, интракраниални калцификати, церебеларна хипоплазия, умствена изостаналост, хориоретинит и др.

Невросензорната загуба на слуха при cCMVI се характеризира със значителна хетерогенност. Тя може да бъде едностранна или двустранна, както и стабилна, флуктуираща или прогресивна. Честотата ѝ достига до 50%

при симптоматичните и 15% при асимптоматичните новородени. Тежестта на увреждането варира в широк диапазон – от лека, едностранна високочестотна загуба до тежка или дълбока двустранна глухота.

По отношение на времето на проява, SNHL

може да е налице при раждането или да бъде с късно начало (late-onset), като последното се развива при до 50% от засегнатите деца. Данните за възрастта на късната проява са противоречиви. Dahle et al. съобщават средна възраст 33 месеца при симптоматични и 44 месеца при асимптоматични деца. Освен това, при до 50% от пациентите (симптомни и асимптомни) се наблюдава прогресия на слуховата загуба, която може

да настъпи по всяко време в детството. Според Riga et al., тази прогресия може да продължи до 15.5-годишна възраст при асимптоматични и до 17.4-годишна възраст при симптоматични пациенти[2,3,7-15].

Към настоящия момент липсват надеждни

прогностични маркери, които да идентифицират децата с вродена CMV, изложени на риск от развитие, късна проява или

за cCMV трябва за -

дължително да се предприеме при новородени от майки със съмнение или известна CMV по време на бременността. Необходимо е тестването да бъде осъществено през първите 3 седмици от раждането, поради невъзможността да се разграничи окончателно вродената от постнаталната инфекция след този период. Препоръчва се откриване на CMV ДНК чрез PCR тест от кръв, слюнка и урина. Последните две проби са предпочитани, тъй като повечето новородени с cCMVI имат високо вирусно натоварване в тях. Поради възможността за получаване на фалшиво положителен резултат от слюнка, контаминирана с CMV от кърмата се препоръчва пробата да се вземе най-малко 60 мин. след

кърмене с последващ повторен PCR тест от урина[3,16,17].

Положителен серологичен тест за CMV Ig G антитяло може да показва пасивен трансфер от майката, а отрицателен тест прави cCMVI

малко вероятен. CMV IgM антитялото не е чувствително и може да бъде фалшиво отрицателно при повече от 50% от заразените новородени. Поради това серологичните методи не се препоръчват за рутинна диагностика на cCMVI[3,5]

ЛЕЧЕНИЕ Лечението на cCMVI включва поддържащо лечение, антивирусно лечение, слухо -

ѝ се възпрепятства от преобладаващо асимптоматичния характер на инфекцията

1. Medearis DN Jr. Viral infections during pregnancy and abnormal human development. Am J Obstet Gynecol. 1964;90(suppl):1140–8.

2. Fowler KB. Congenital cytomegalovirus infection: audiologic outcome. Clin Infect Dis. 2013;57:S182–4

3. Harrison GJ. Cytomegalovirus. In: Cherry JD, Harrison GJ, Kaplan SL, Steinbach WJ, Hotez PJ, editors. Feigin and Cherry’s textbook of pediatric infectious diseases. 8th ed. Philadelphia: Elsevier; 2019. p. 1429–

50.

4. de Vries JJ, van Zwet EW, Dekker FW, et al. The apparent paradox of maternal seropositivity as a risk factor for congenital cytomegalovirus infection: a populationbased prediction model. Rev Med Virol.

2013;23:241–9.

5. Ross SA. Cytomegalovirus. In: Long SS, Prober CG, Fischer M, Kimberlin DW, editors. Principles and practice of pediatric infectious diseases. 6th ed. Philadelphia: Elsevier; 2023. p. 1092–9.

6. Maltezou PG, Kourlaba G, Kourkouni Ε, et al. Maternal type of CMV infection and sequelae in infants with congenital CMV: systematic review and meta-analysis. J Clin Virol. 2020;129:104518.

7. Lanzieri TM, Chung W, Flores M, et al. Hearing loss in children with asymptomatic congenital cytomegalovirus infection. Pediatrics. 2017;139:e20162610.

8. Bartlett AW, McMullan B, Rawlinson WD, Palasanthiran P. Hearing and neurodevelopmental outcomes for

children with asymptomatic congenital cytomegalovirus infection: a systematic review. Rev Med Virol. 2017.

9. Rawlinson WD, Boppana SB, Fowler KB, et al. Congenital cytomegalovirus infection in pregnancy and the neonate: consensus recommendations for prevention, diagnosis, and therapy. Lancet Infect Dis. 2017;17:e177–88.

10. Kenneson A, Cannon MJ. Review and meta-analysis of the epidemiology of congenital cytomegalovirus (CMV) infection. Rev Med Virol. 2007;17:253–76.

11. Dollard SC, Grosse SD, Ross DS. New estimates of the prevalence of neurological and sensory sequelae and mortality associated with congenital

cytomegalovirus infection. Rev Med Virol. 2007;17:355–63.

12. Goderis J, De Leenheer E, Smets K, et al. Hearing loss and congenital CMV infection: a systematic review. Pediatrics. 2014;134:972–82.

13. Dahle AJ, Fowler KB, Wright JD, et al. Longitudinal investigation of hearing disorders in children with congenital cytomegalovirus. J Am Acad Audiol. 2000;11:283–90.

14. Riga M, Korres G, Chouridis P, Naxakis S, Danielides V. Congenital cytomegalovirus infection inducing non-congenital sensorineural hearing loss during childhood: a systematic review. Int J Pediatr Otorhinolaryngol. 2018;115:156–64.

16. Rawlinson WD, Boppana SB, Fowler KB, et al. Congenital cytomegalovirus infection in pregnancy and the neonate: consensus recommendations for prevention, diagnosis, and therapy. Lancet Infect Dis. 2017;17:e177–88.

17. Luck SE, Wieringa JW, Blázquez-Gamero D, et al. Congenital cytomegalovirus: a European expert consensus statement on diagnosis and management. Pediatr Infect Dis J. 2017;36:1205–13.

18. Tol I, Heath PT, Khalil A. Prevention strategies for congenital cytomegalovirus infection. Curr Opin Infect Dis. 2021;34:546–51.

15. Jenks CM, Mithal LB, Hoff SR. Early identification and management of congenital cytomegalovirus. Otolaryngol Clin North Am. 2021;54:1117–27

Епщайн-Бар

вирус –исторически

Вирусът на Епщайн-Бар (EBV) или човешки херпесен вирус 4 (HHV-4) е член на семейството на γ-херпесвирусите и е първият идентифициран човешки онкогенен вирус. EBV е лимфотропен вирус, който проявява изразен тропизъм към орофарингеалния и назофарингеалния епител и В-лимфоцитите. Съществуват два подтипа на вируса, EBV-1 и EBV-2. Двата типа имат функционални разлики в способността си да трансформират човешки В-клетки. В сравнение с EBV-1, EBV2 трансформира В-клетките по-слабо[1]. EBV-2 преференциално инфектира Т-клетъчните лимфоцити. EBV инициира латентна (непродуктивна) инфекция или литична (продуктивна) репликация. Вирусът претър -

време на латентна инфекция се експресират само ограничен брой гени, които са необходими за поддържане на вирусния геном (като епизома в ядрото). EBV допринася за реактивната и неопластична лимфоидна пролиферация на B-, T- и NK-клетъчни линии, които представляват широк клиникопатологичен спектър, вариращ от индолентно, самоограничаващо се заболяване до агресивни лимфоми.

През март 1964 г. медицинското списание „Лансет“ публикува забележително изследване

на EBV са свърза -

ни с Вернер и Гертруд Хенле, съпрузи вирусолози, живеещи в САЩ [3]. Те откриват, че заразените В-клетки могат да предадат вируса на незаразени В-клетки и да ги трансформират в ракови. Семейство Хенле също са част от екипа, който за първи път публикува откриването на EBV ДНК в клетки, взети от BL биопсии, предоставяйки убедителни доказателства за връзката на EBV с BL [4]. Ендемичният BL (eBL) се среща главно при деца в Екваториална Африка, силно злокачествен, прогресира бързо и е доказано, че е свързан с EBV

инфекция[5]

След като лаборант, работеща в лабораторията на Хенле, се разболява от инфекциозна мононуклеоза, е отбелязано, че тя развива антитела срещу EBV по

време на заболяването си[6]. Послед -

ващи проучвания идентифицират високи нива на специфични антитела срещу EBV при пациенти с лимфом на Бъркит и назофарингеален карцином (NPC). През 1966 г. EBV ДНК е открита в NPC и е уcтано -

че повишените EBV-специфични

боляване от руския лекар Н. Филатов през 1887 г. под названието "идиопатично възпаление на лимфните възли" ("idiopathic adenitis"). Клиничната триада от треска, фарингит и лимфаденопатия е документирана през 1889 г. от немския лекар Емил Пфайфер, който я нарича "жлезиста треска" ("glandular fever")[7] . Терминът "инфекциоз

(https://news. cancerresearchuk.org)

(https:// en.wikipedia.org)

лимфом и орална космата левкоплакия (oral "hairy" leukoplakia, OHL), която е вид доброкачествена епителна хиперплазия, която се среща при пациенти със СПИН[11,12]. OHL основно засяга латералния край на езика с образуване на специфичен налеп[13]. През 1987 г. инфекцията с EBV е асоциирана с лимфом на Ходжкин (Hodgkin Lymphoma, HL), който представлява лимфоидна В-кле

с

ски клетки, известни като клетки на Рийд-Щернберг (Фиг. 2). При всички ХИВ-свързани лимфоми разпространението на EBV е високо[16]

В началото на 90-те години на миналия век се предполага ролята на EBV при развитие на рак на стомаха (EBVaGC). От 1992 г. датира първата демонстрация на EBV в стомашни аднокарциноми. Близо 10% от случаите на рак на стомаха в световен мащаб са свързани с EBV и показват склонност към локализация в проксималната част на стомаха[17]

Натрупаните досега доказателства сочат за вероятна причинно-следствена връзка на EBV в патогенезата на недиференцирания назофарингеален карцином (NPC)[18]. EBV асоциираният NPC (EBVaNPC) е ендемичен

за Южен Китай, където е една от основните причини за заболеваемост

и смъртност. EBVaNPC има висока

честота и в Хонконг, Малайзия, Ин -

донезия, както и в части от Северна Африка. Многобройни проучвания показват, че нивата на IgA аnti-VCA

и/или IgA аnti-EA са значително по -

вишени при пациенти с NPC в срав -

нение със здрави контроли, което квалифицира потенциалното им използване в рутинни диагностични анализи и популационни скринин -

гови проучвания. Серологични маркери на EBV инфекция, като аnti-IgA антитела за ранен антиген (EA) и вирусен капсиден антиген (VCA), сe използват като скринингови маркери на NPC [19]. Наличието на EBV генома в NPC клетките по-късно е доказано чрез in situ хибридизация[20]

Смята се, че повече от 250 000 случая на рак всяка година са предизвикани от EBV и че приблизително 2% от всички смъртни случаи от кар

вируса

човешки

вирус. Няколко години след откриването му е доказано, че EBV е способен да трансформира нормални левкоцити в лимфобластоидни клетъчни линии. Подобно на други херпесни вируси, след първична инфекция, EBV установява асимптоматична, доживотна латентна инфекция, която в състояния на имуносупресия може да се реактивира.

1.

А. Epstein- Barr на 50

практика, 2014, 3: 3-7.

2. Epstein MA, Achong BG, Barr YM. Virus particles in cultured lymphoblasts from Burkitt's lymphoma. Lancet. 1964 Mar 28; 1(7335):702-3.

3. Henle W. Evidence for viruses in acute leukemia and Burkitt’s tumor. Cancer. 1968; 21:580–586.

4. zur Hausen H, Schulte-Holthausen H, Klein G, et al. EBV DNA in biopsies of Burkitt tumours and anaplastic carcinomas of the nasopharynx. Nautre. 1970; 228:1056–1058.

5. Goldstein JA, Bernstein RL. Burkitt’s lymphoma and the role of Epstein-Barr virus. J Trop Pediatr. 1990;36(3):114–20.

6. Henle G, Henle W. Chapter 13: the virus as the etiologic agent of infectious mononucleosis. In: Epstein MA, Achong BG eds. The Epstein-Barr Virus. Berlin: Springer; 1979:297-320.

7. Pfeiffer E. Yearbook of paediatrics and physical education. 1889; 29: 257-64.

8. Sprunt TPV, Evans FA. Mononuclear leukocytosis in reaction to acute infection (infectious mononucleosis). Bulletin Johns Hopkins Hospital (Balitmore) 1920; 31: 410-7.

9. Downey H, McKinlay CA. Acute lymphadenosis compared with acute lymphatic leukemia. Arch Intern Med 1923; 32(1): 82-112.

10. Henle G, Henle W, Diehl V. Relation of Burkitt's tumor-associated herpes-ytpe virus to infectious mononucleosis. Proc Natl

Acad Sci U S A. 1968 Jan;59(1):94-101.

11. Ziegler JL, Drew WL, Miner RC, Mintz L, Rosenbaum E, Gershow J, Lennette ET, Greenspan J, Shillitoe E, Beckstead J, Casavant C, Yamamoto K. Outbreak of Burkitt's-like lymphoma in homosexual men. Lancet. 1982 Sep 18;2(8299):631-3.

12. Greenspan JS, Greenspan D, Lennette ET, Abrams DI, Conant MA, Petersen V, Freese UK. Replication of Epstein-Barr virus within the epithelial cells of oral "hairy" leukoplakia, an AIDS-associated lesion. N Engl J Med. 1985 Dec 19;313(25):1564-71.

13.

15. Weiss LM, Strickler JG, Warnke RA, Purtilo DT, Sklar J. Epstein-Barr viral DNA in tissues of Hodgkin’s disease. Am J Pathol. 1987;129(1):86–91.

16. Mundo L, Leoncini L, Accardi-Gheit R. Epstein-Barr Virus Infection in Cancer. Cancers (Basel). 2023 Sep 21;15(18):4659.

17. Huang W, Bai L, Tang H. Epstein-Barr virus infection: the micro and macro worlds. Virol J. 2023 Oct 2;20(1):220.

18. Ma BBY, Hui EP, Chan ATC. Investigational drugs for nasopharyngeal carcinoma. Expert Opin Investig Drugs. 2017 Jun; 26(6):677-685.

14. Weiss LM. Epstein-Barr virus and Hodgkin’s disease. Curr Oncol Rep. 2000; 2:199–204.

19. Tsang CM, Lui VWY, Bruce JP, Pugh TJ, Lo KW. Translational genomics of nasopharyngeal cancer. Semin Cancer Biol. 2020 Apr; 61:84-100. 20. Wolf H, Zur Hausen H, Klein G, Becker V, Henle G, Henle W. Attempts to detect virus-specific DNA sequences in human tumors. III. Epstein-Barr viral DNA in non-lymphoid nasopharyngeal carcinoma cells. Med Microbiol Immunol. 1975;161(1):15-21.

21. de Martel C, Ferlay J, Franceschi S, Vignat J, Bray F, Forman D, Plummer M. Global burden of cancers attributable to infections in 2008: a review and synthetic analysis. Lancet Oncol. 2012 Jun;13(6):607-15.

22.

слуховият нерв изпраща тези

сигнали до кората на мозъка.

Слуховите полета в мозъка, идентифицирани от невролога Корбини -

ан Бродман, са главно полетата на Бродман 41 и 42, които съставляват

първичната слухова кора. Тези об -

ласти са първата кортикална спир -

ка за слухова информация и са отго -

ворни за обработката на физичните свойства на звука.

Поле на Бродман 41: Това е част от

първичната слухова кора, която получава слухов вход от таламуса. Това е първата корова област, която обработва звукова информация. Поле на Бродман

от двете уши, за да се разбере откъде идват звуците. Други области на мозъка декодират или обработват езика и музиката.

Създадени да имаме две уши – мозъкът използва и двете уши, за да определи точно местоположението на

операция на ухото, предишна вътречерепна операция.

 Общо здравословно състояние (състояния като мозъчно-съдово заболяване, диа бет и автоимунни заболявания, които

могат да повлияят на слуха).

 Фамилна анамнеза за загуба на слуха или тумори, свързани с ухото.

 И не на последно място, употреба на ле -

от едностранна загуба на слуха включват: тревожност, социална изолация. Отдръпване от социални ситуациитрудности на работното място, опасения за безопасността, социални трудности в училище. Децата с едностранна загуба на слуха може да имат проблеми с говора, езика и поведението. Поведенчески - фрустрация и смущение, умора от напрягане за слушане, проблеми с поведението особено при деца.

Причините за едностранната загубата на слуха, са много, но

карства като антибиотици, антималарийни лекарства, противовъзпалителни средства, салицилати, химиотерапевтични средства и диуретици.

Възможни решения при едностранната слухова загуба, с техните предимства и недостатъци:

1. CROS или BiCROS системи, това са вид слухови апарати.  Без ограничения за продължителността на глухотата.

предимства

Кохлеарна

1

Катедра по акушерство

2СБАЛАГ „Майчин дом“, Втора гинекологична клиника, Катедра по акушерство и гинекология, МУ - София

3Медицински факултет, МУ - София

4Клиника по оперативна гинекология, УМБАЛСП „Пирогов“ - София

5Катедра по алергология, УМБАЛ „Александровска“ - София

6Клиника по ендокринология, УМБАЛ „Александровска“ - София

7Клиника по неврология, УМБАЛСМ „Пирогов“ - София

8СУ „Св. Климент Охридски“

9Катедра по генетика, МУ - София

ЧРЕВЕН МИКРОБИОМ, ИМУННА СИСТЕМА И ГИНЕКОЛОГИЧНО ЗДРАВЕ – СЪВРЕМЕНЕН ПОГЛЕД ВЪРХУ ИМУНОЛОГИЧНИТЕ И ПАТОГЕНЕТИЧНИТЕ МЕХАНИЗМИ През последното десетилетие изследванията върху чревния микробиом бележат изключителен напредък. Вече е ясно, че чревните

ва дисбиоза. Тя се характеризира с намалено разнообразие на полезни бактерии и

свръхрастеж на условно патогенни родове като Enterobacteriaceae и Bilophila. Тези

промени водят до повишена пропускливост на чревната бариера („leaky gut“) и улесняват преминаването на бактериални компоненти като липополизахарид (LPS) в кръвообращението. LPS активира Toll-подобните рецептори (TLR4) върху макрофагите и ади -

поцитите, стимулирайки хронично нискостепенно възпаление – процес, който стои в основата на метаболитния синдром, инсулиновата резистентност и редица системни заболявания.

ИМУНОЛОГИЧНИТЕ ПЪТИЩА – ОТ ЧЕРВОТО КЪМ СИСТЕМНИЯ ОТГОВОР Чревната лигавица е най-големият имунологичен орган в човешкото тяло. В нея се намират лимфоидни структури като плаки на Пайер, мезентериални лимфни възли и множество дендритни клетки, които „патрулират“ в епитела. Те непрекъснато вземат проби от съдържимото на червото и представят

микробни антигени на Т- и В-клетките. Така се изгражда фино регулиран баланс между имунна защита и толерантност.

Когато бариерната функция е нарушена, антигени и микробни молекули проникват в субмукозата и индуцират Th1 и Th17 отго -

вори, водещи до отделяне на провъзпалителни цитокини (IL-6, IL-17, TNF-α). Едновременно с това се потиска активността на Treg

клетките, които нормално имат функцията да поддържат имунен мир. Получава се хронична активация на вродения и адаптивния имунитет, което има отражение далеч отвъд червата – в черния дроб, метаболитните тъ -

кани, съдовете и репродуктивната система.

МЕТАБОЛИТЕН СИНДРОМ (METS): „МЕТАБОЛИТНОТО ВЪЗПАЛЕНИЕ“, ПРОИЗЛИЗАЩО ОТ ЧЕРВАТА Метаболитният синдром (MetS) представлява съвкупност от метаболитни нарушения – централно затлъстяване, хипергликемия,

чревната лигавица изпълнява ролята на ефективна бариера, която ограничава навлизането на микробни компоненти в системното кръвообращение. Дисбиозата – например вследствие на

диета, богата на мазнини и бедна на фибри – нарушава целостта на тази бариера, като

води до намаляване на плътните връзки между епителните клетки и до „протичане“ на чревното съдържимо. В резултат липополизахаридите (LPS) от клетъчната стена на Грам-отрицателните бактерии преминават в кръвта и предизвикват т.нар. метаболитна ендотоксемия.

LPS активират Toll-подобния рецептор 4 (TLR4), експресиран върху макрофагите, адипоцитите и ендотелните клетки. Това води до каскада от сигнали, включваща активиране на NF-κB, последвано от освобождаване на провъзпалителни цитокини – TNF-α, IL-6 и IL-1β. Тези медиатори индуцират системно нискостепенно възпаление, което нарушава нормалното сигнализиране на инсулина в адипоцитите и хепатоцитите. Така възниква инсулинова резистентност, която е централен компонент на MetS.

Дори леко, хронично повишение на циркулиращия LPS може да поддържа персистиращо възпалително състояние, което с времето води до натрупване на мастна тъкан, ендотелна дисфункция и метаболитни отклонения. Някои автори описват този процес като „възпалителен фон на благосъстояние

лителни процеси и засилват инсулиновата резистентност. От друга страна, полезните микробни метаболити – особено късоверижните мастни киселини (SCFAs), като бутират и пропионат – имат протективен ефект.

Те подобряват адипокиновия профил, потискат NF-κB и повишават чувствителността към инсулин.

Интересен е и ефектът на вторичните жлъчни киселини, които чрез активиране на рецепторите FXR и TGR5 в черния дроб и адипозната тъкан стимулират отделянето на

инкретинови хормони (GLP-1, PYY) и повиша -

ват енергийния разход. Така микробиомът се

превръща в ключов регулатор на метаболизма и енергийния баланс.

ОС „ЧЕРВО–ЧЕРЕН ДРОБ–МАЗНИНА–ЕНДОТЕЛ“

Чревната дисбиоза не засяга само метаболизма на глюкозата и липидите, но

системни последствия. Едновре

с това, повишените

лителни цитокини и реактивни кислородни видове (ROS) водят до липидна пероксидация, нарушаване на ендотелната функция и повишаване на риска от хронична ендотелна дисфункция.

В контекста на този генерализиран патоге -

нетичен механизъм и естроген зависимите заболявания ,все повече изследвания

показват, че съществува тясна ос „черво–влагалище–ендометриум“, чрез която микро -

биомът влияе върху хормоналната и имунната хомеостаза на женския организъм. Някои бактериални видове участват в разгражда -

нето на конюгирани естрогени чрез ензима β-глюкуронидаза – част от т.нар. естрого -

включително ендометриума. IGG АНТИТЕЛА В КОНТЕКСТА НА НЕОПЛАЗИИ В контекста на ендометриалния карцином се изследва ролята на тумор-инфилтриращите В-клетки, които продуцират IgG и IgA антитела в самата туморна микросреда. Тези антитела участват

някои серумни изследвания показват, че гликозилирането на циркулиращия IgG (т. нар. IgG N-гликомен профил) може да служи като потенциален биомаркер за възпалителни и неопластични процеси, включително и за карцином на ендометриума. Все още обаче тези данни са експериментални и не се използват в клиничната практика. Доказано е, че Средиземноморската диета, богата на плодове, зеленчуци, пълнозърнести продукти, риба и маслиново масло, увеличава микробното разнообразие и повишава съдържанието на Bifidobacterium и Lactobacillus.

гладуване може да подобри метаболитните показатели, да повиши нивата на адипонектин и да ограничи липидната пероксидация – все фактори, които индиректно влияят върху имунната регулация и микробиомната стабилност.

ЗАКЛЮЧЕНИЕ Чревният микробиом е ключов регулатор на имунната система и представлява важна връзка меж

възпалителните и гинекологичните заболявания. Нарушаването на този деликатен баланс

ном. В този контекст ролята на имуноглобулините, особено на IgG, е двойнствена

1. Zheng D, Liwinski T, Elinav E. Interaction between microbiota and immunity in health and disease. Cell Res. 2020.

2. Liu X, Zeng B, Zhang J, Li W, Mou F. Regulation of short-chain fatty acids in the immune system. Front Immunol. 2023;14:1186892.

3. Zhang D, Zhang H, Wang K, et al. Short-chain fatty acids in diseases. Cell Commun Signal. 2023;21:231.

4. Cani PD, Amar J, Iglesias MA, et al. Metabolic endotoxemia initiates obesity and insulin resistance. Diabetes. 2007;56(7):1761–72.

5. Mohammad S, Thiemermann C. Role of metabolic endotoxemia in systemic inflammation and potential interventions. Front Immunol. 2021;12:594150.

6. Ridlon JM, Alves JM, Hylemon PB, Bajaj JS. The role of the gut microbiota in bile acid metabolism and liver disease. Ann Hepatol. 2019.

7. Pols TWH, Noriega LG, Nomura M, Auwerx J, Schoonjans K. The bile acid membrane receptor TGR5 as an emerging target in metabolism and inflammation. J Hepatol. 2011.

8. Hu S, Li A, Huang T, et al. Gut microbial β-glucuronidase: a vital regulator in female estrogen metabolism and estrogen-related diseases. Front Cell Dev Biol. 2023;11:1210841.

9. Elkafas H, Zaw T, Choi S, et al. Gut and genital tract microbiomes: dysbiosis and link to gynecological disorders. Front Cell Infect Microbiol. 2022;12:1059825.

10. Zheng W, Li J, Yang X, et al. Gut microbiota and endometrial cancer: mechanisms and clinical implications. Front Oncol. 2025.

11. Pietrzak B, Tomela K, Olejnik-Schmidt AK, Mackiewicz A, Schmidt M. Secretory IgA in intestinal mucosal secretions. Int J Mol Sci. 2020;21(23):9254.

12. Castro-Dopico T, Clatworthy MR. IgG and Fcγ receptors in intestinal immunity and inflammation. Front Immunol. 2019;10:2720.

13. Lin S, Liu D, Zhang J, et al. Serum IgG N-glycome as a biomarker in endometrial cancer. Ann Transl Med. 2020;8(12):748.

14. Perrone P, Finelli C, et al. Gut microbiota modulation through Mediterranean diet foods. Nutrients. 2025.

15. Guo Y, Luo S, Ye Y, Yin S, Fan J, Xia M. Intermittent fasting improves cardiometabolic risk factors and alters gut microbiota. J Clin Endocrinol Metab. 2021;106(1):64–79.

1Клиника по оперативна гинекология, УМБАЛСМ

2Медицински факултет, МУ - София

3Катедра по генетика, МУ - София

4Втора гинекологична клиника, СБАЛАГ „Майчин дом“ - София

5СБАЛАГ „Майчин дом“, Втора гинекологична клиника, Катедра

6НСА - София

7Медицински факултет, СУ „Св. Климент Охридски“

8Клиника по неврология, УМБАЛСМ „Пирогов“ - София

9Катедра по алергология, УМБАЛ „Александровска“ - София

10МЦ „Гея Мед“ - София

биологичен процес, който обозначава преходния период към менопаузата и се характеризира с постепенно намаляване на яйчниковата функция. Обикновено настъпва между 40

и 50-годишна възраст, като средната възраст за начало е около 45 години. Този период може да продъл -

от 2 до

(по-рядко, но наблюдавано при стрес, тютюнопушене, операции, автоимунни

Клиничната изява на перименопаузата обхваща комплекс от симптоми, отражение на прогресивната дисрегулация на хипоталамо–хипофизо–овариалната ос и свързаните с нея системни физиологични промени.

• Нередовни менструални цикли и промени в количеството на кървенето - резултат от прогресивна дисфункция на хипоталамо–хипофизо–овариалната ос, водеща до непредсказуемо фоликуларно развитие, ановулаторни цикли и колебания в нивата на естроген и

прогестерон. Тези хормонални флуктуации причиняват удължаване или скъсяване на ци -

къла, както и вариабилност в менструалната

кръвозагуба[2]

• Вазомоторни симптоми (топли вълни, нощ -

но изпотяване), поради променена чувствителност на хипоталамуса към флуктуациите

на естроген[2]

• Психо-емоционални промени, като раз -

дразнителност, тревожност и нарушения на съня[4,5]

• Неврокогнитивни симптоми — намалена концентрация и краткосрочна памет, свързани с вариации в естрогенно-медиираната невротрансмисия[6].

• Урогенитални оплаквания - вагинална сухота, диспареуния, рецидивиращи инфекции

и нарушения в уринирането, произтичащи от

прогресивни естроген-дефицитни атрофични промени в епитела, съединителната тъкан и локалната невроваскуларна регулация.

Тези изменения водят до загуба на еластичност, изтъняване на лигавицата, промяна в

pH и редукция на лактобацилната доминантност, като комплексът от прояви се класифицира като генитоуринарен синдром на менопаузата (GSM)[7,8,9]

• Соматични промени — ставни и мускулни болки, скованост и общо намалена мускулно-скелетна устойчивост, резултат от възпалителни и метаболитни механизми, задълбочени от естрогенния дефицит; допълнително, намалената костна минерална плътност и развитието на остеопения

са значително разпространени и имат комплексен произход. Според голямото популационно проучване SWAN (Study of Women’s Health Across the Nation) около 43-60% от жените в перименопауза съобщават за поне една форма на сексуална дисфункция[10]. Най-честите симптоми включват вагинална сухота, болка при сексуален контакт (диспареуния) и понижено сексуално желание[10,11]

Тези промени се дължат на комбинация от хормонални, физиологични и психоемоционални фактори. Спадът на естроген води до изтъняване на вагиналния епител, намаляване на кръвоснабдяването и нарушена хидратация на тъканите — процес, описан като генитоуринарен синдром на менопаузата (GSM)[7,8,12]. Същевременно намаляването на андрогените (включително тестостерон и DHEA) е свързано с редуцирано сексуално желание и намалена възбудимост, както

показват данни от систематични прегледи и метаанализи[13].

Психологическите фактори също са ключови. Проучванията показват, че симптоми

като тревожност, нарушения на съня и депресивни епизоди — често срещани в перименопаузата — корелират с повишен риск от сексуална дисфункция[4,5]. Хроничната умора, когнитивните колебания и стресът в ежедневието допълнително потискат сексуалната мотивация и реактивност.

Сексуалните затруднения през перименопаузата имат значими последици за интимните отношения. Данни от международни проучвания показват, че сексуалната неудовлетвореност е свързана с по-ниска

ния период не са „естествена част,

трябва да се изтърпи“, а състояния, за които съществуват ефективни подходи[14]. Литературата посочва три основни групи терапевтични подходи: хормонална терапия, нехормонални медикаменти и комплементарни методи[2,15].

Благоприятен и синергичен успокояващ ефект върху нервната система има комби -

нацията от растителни екстракти, съдържащи ферментирала соя, теобромин, хмел, валериана, маточина, лавандула и пасифлора, които действат анксиолитично и подпомагат качествения сън, като намаляват нервното напрежение и подпомагат емоционалния баланс.

Сниженото либидо е един от най-често срещаните симптоми в перименопаузата, като засяга между 40% и 55% от жените според данни от големи популационни изследвания[10]. Причините за този симптом са комплексни и включват както хормонални промени, така и фактори като вагинална сухота, хроничен стрес, умора, депресивни симптоми и нарушения на съня[4]. Освен тради -

ционните подходи — хормонална терапия, локални естрогени и промени в начина на

живот — все по-голям интерес привличат

хранителните добавки, които могат да под -

помогнат сексуалното желание и общото сексуално функциониране при жените в перименопауза[16,17]

L-аргининът, мака и женшенът са нетерапевтични средства, които показват потенциални ползи за подобряване на сексуалната функ-

умората и когнитивните симптоми в перименопаузата. Клинични данни показват, че комбинацията им може да намали

от

подобен ефект, който

влияние върху терморегулацията, настроението, костния метаболизъм и сексуалната функция — без типичните рискове, свързани с системната хормонална терапия.

Научни доказателства Клинични проучвания върху стандартизирани ферментирали соеви екстракти (включително DT56a) показват:

• значимо намаляване на вазомоторните симптоми, включително горещи вълни и нощно изпотяване (Yoles et al., 2010)

• подобряване на настроението, енергията и качеството на съня

• положителен ефект върху сексуалната функция — чрез намаляване на вагиналната сухота и повишаване

(Ettinger et al., 2012)

които не желаят или не могат да приемат хормонална терапия.

Цинкът, витамин D и витамините от група B подпомагат хормоналния баланс, невротрансмитерната активност и енергийните процеси, които са ключови за сексуалното желание и общото психофизическо състояние в перименопаузата[2]. Ниските им нива се свързват с депресивни симптоми, умора и намалена сексуална реактивност. Здравата вагинална микробиота играе ключова роля за поддържане на оптимална лигавична функция, локален имунитет и сексуален комфорт. Доминирането на Lactobacillus-видове осигурява киселинно pH и производство на антимикробни вещества[21,22]

При перименопаузални жени хормоналните колебания могат да доведат до намаляване на лактобацилите, което причинява сухота, възпаление, диспареуния и склонност към рецидивиращи инфекции. Пробиотич -

ните интервенции, съдържащи щамове като

Lactobacillus reuteri и Lactobacillus crispatus,

подпомагат възстановяването на нормалната микрофлора и подобряването на вагиналната хидратация[23,24]

Клинични изследвания демонстрират, че редовният прием или локално приложение на тези щамове намалява честотата на бактериална вагиноза и кандидози[25,26]. Подобряването на вагиналната екосистема води до намаляване на болковите симптоми по време на полов акт и до по-голямо сексуално удовлетворение. Допълнителен ефект е укрепването на локалната бариерна функция, което редуцира възпалителните реакции и

Психотерапия и психологическа подкрепа Психотерапията е ключова част от интегрираната грижа за емоционалните симптоми в перименопаузата. Изследванията показват, че когнитивно-поведенческата терапия (CBT) е особено

на сексуалността, включително промяна в телесния образ, самочувствието и очакванията

от партньорството.

ЛОКАЛНИ ЕСТРОГЕНИ

Локалните естрогени са основен терапевтичен инструмент при генитоуринарния синдром на менопаузата (GSM), който води до сухота, болка, дискомфорт при секс и чести инфекции [8,12,28]. Съвременните проучвания

показват, че вагиналните естрогени:

• подобряват влагалищната хидратация • намаляват болката при полов акт • подобряват сексуалното удовлетворение[8,12]

Тези ефекти често възстановяват интимността

ЗАКЛЮЧЕНИЕ

Лечението на перименопаузалните симптоми изисква цялостен, индивидуализиран и продължителен подход, който съчетава локални естрогени, фитопрепарати, пробиотици и психотерапевтични интервенции. Тези направления не само са ефективни като начална терапия за сексуалната дисфункция, но оказват значимо влияние и върху останалите симптоми, характерни за перименопаузата[2,8,4]

Локалните естрогени осигуряват бързо и устойчиво подобрение на състоянието на вагиналната лигавица, като възстановяват хидратацията, еластичността и pH на тъканите.

имунитета и невропсихологичните процеси, което води до по-добра

концентрация, по-малко тревожност и общо подобрение в тонуса[2]

Психотерапията заема ключово място в съвременните интегрирани модели и е особено полезна за справяне със симптоми като хроничен стрес, тревожност, нарушения на съня, промени в настроението и проблеми с телесния образ[4,27].

Партньорската терапия подпомага двойките в адаптацията към проме -

ните в сексуалността, намалява конфликтите и подобрява комуникацията[14]

В обобщение, локалните естрогени, фитопрепаратите, пробиотиците и психотерапията се отличават не само като първи избор при сексуална дисфункция, но и като широкообхватни терапевтични инструменти, които оказват благоприятно влияние върху множество аспекти на перименопаузата - от вазомоторните

ИЗПОЛЗВАНА

1. Davis SR, Lambrinoudaki I, Lumsden M, et al. Menopause—Biology, consequences, supportive care, and therapies. Cell. 2023;186(16):3412–3430.

2. Mehta J, Kling JM, Manson JE. Risks, benefits, and treatment modalities of menopausal hormone therapy: current concepts. Menopause. 2021;28(7):xxx–xxx.

3. Bowles EJA, et al. Hormone levels and cancer risk post-menopause. Cancer Epidemiol. 2021;74:102018.

4. Hunter MS. Cognitive behavioural therapy for menopausal symptoms. Climacteric. 2021;24(3):233–239.

5. Ye M, Zhang X, Zhang Y, et al. Efficacy of cognitive therapy and behaviour therapy for menopausal symptoms: a systematic review and meta-analysis. Psychol Med. 2022;52(15):3474–3487.

6. Avis NE, Colvin A, Hess R, et al. Correlates of sexual function among multi-ethnic middle-aged women: results from the Study of Women’s Health Across the Nation (SWAN). Menopause.

2018;25(5):564–572. 7. Portman DJ, Gass MLS. Genitourinary syndrome of menopause: new terminology for vulvovaginal atrophy. Menopause. 2016;23(9):1026–1033. 8. Faubion SS, Larkin LC, Stuenkel CA, et al. Management of genitourinary syndrome of menopause in women with or at high risk for breast cancer: consensus recommendations. Menopause. 2018;25(6):596–608. 9. Sarmento ACA, do Amaral WN, PintoNeto AM, et al. Genitourinary syndrome of menopause: a review. Front Reprod Health. 2021;3:779398.

10. Bıldırcın FD, Arslan H, Çakıroğlu Y. Does type of menopause affect sex lives of women? Cureus. 2020;12(6):e8511. 11. Kingsberg SA, Rezaee RL. Hypoactive sexual desire in women. Menopause. 2021;28(3):278–287.

12. Cuccu I, Farris M, Paoletti AM, et al. Genitourinary syndrome of menopause: a scoping review of tailored, treatmentbased approaches. Life (Basel). 2024;14(11):1504.

13. Davis SR, Lambrinoudaki I, Lumsden M, et al. Androgens and female sexual function: a systematic review. Menopause. 2016;23(10):1199–1210.

14. Kingsberg SA, Rezaee RL. Hypoactive sexual desire in women. Menopause. 2021;28(3):278–287.

15. Torkaman P, Rezaei M, Ebrahimi A, et al. Effect of L-arginine compared to placebo on sexual function in women with major depressive disorder: a randomized controlled trial. BMC Psychiatry. 2024;24:575.

16. Cieri-Hutcherson NE, Jaenecke A, Bahia A, et al. Systematic review of L-arginine for the treatment of hypoactive sexual desire disorder and related conditions in women. Pharmacy (Basel). 2021;9(2):71.

17. Bower-Cargill C, Yarandi S, Petróczi A. A systematic review of the versatile effects of the Peruvian Maca root (Lepidium meyenii) on sexual dysfunction, menopausal symptoms and related conditions. Endocr Regul. 2022;56(3):171–188.

18. Toptaş Acar B, Gercek Oter E. Using Maca (Lepidium meyenii) to treat sexual dysfunction in menopausal women: a systematic review. Hemsirelik Bilimi Dergisi. 2023;6(3):215–222.

19. Mosconi L, Berti V, Quinn C, et al. Menopause impacts human brain structure, connectivity, energy metabolism, and amyloid-β deposition. Sci Rep. 2017;7:11417.

20. Wu LY, Wang H, Zhang Y, et al. The role of probiotics in women’s health: focus on urogenital and reproductive outcomes. J Clin Med. 2024;13(5):1120.

21. Romeo M, Romeo F, Pompili S, et al. Exploring oral and vaginal probiotic solutions for women’s health. Microorganisms. 2024;12(2):431.

22. Armstrong K, McMurdo MET, Ashley K, et al. Probiotics for vaginal health: clinical evidence and mechanisms. Womens Health (Lond). 2022;18:17455065221101725.

23. Lima LS, da Silva JC, de Oliveira LG, et al. A viable alternative for delivery of Lactobacillus spp. to the vagina:

implications for treatment of genitourinary syndrome of menopause. Microorganisms. 2025;13(1):115.

24. He Y, Niu X, Wang B, et al. Evaluation of the inhibitory effects of Lactobacillus gasseri on vaginal pathogens and its safety in a murine model. Front Med (Lausanne). 2020;7:82.

25. Wasnik VB, Tamhane R, Bhalerao A. Genitourinary syndrome of menopause: a narrative review of clinical manifestations and management. Cureus. 2023;15(8):e43589.

26. van Driel CMG, Stuursma A, Schroevers MJ, et al. Mindfulness, cognitive behavioural and behaviour-based therapy for menopausal symptoms: a systematic review and meta-analysis. BJOG. 2019;126(3):330–339.

27. van Driel CMG, Stuursma A, Schroevers MJ, et al. (duplicate removed earlier; now only once included)

28. Wasnik VB, Tamhane R, Bhalerao A. Genitourinary syndrome of menopause: clinical manifestations and management. Cureus. 2023;15(8):e43589.

Бактериална вагиноза

на вагиналните

и образуване на биофилм.

Подобно на много други инфекции, свързани с този проблем, стандартните антибиотици не могат напълно да

елиминират вагиналния биофилм, което обяснява и честата повтаряемост на бактериалната вагиноза.

ЕТИОЛОГИЯ И ПАТОГЕНЕЗА Влагалището е един от най-гъсто колонизираните органи в тялото, втори по бактериална плътност след червата. Тези микроорганизми (микробиота) взаимодействат помежду си и с нашето тяло. Здравословната вагинална микробиота е доминирана от полезни грам-положителни лактобактерии, главно L. crispatus, L. iners, L. gasseri, L. jenseni. Лактобактериите, пръчиците на Дьодерлайн, известни още като млечнокисели бактерии, също са неин компонент. Лактобактериите инхибират растежа на пато -

vaginalis, следователно бактериалният вагинит, бактериалната вагиноза е полимикробно заболяване.

Антибиотици: ограничени възможности

Досега в насоките за диагностика и лечение на бактериална вагиноза метронидазол е първият избор за лечение на това заболяване. Той е нитроимидазол от първо поколение, първоначално използван при трихомониаза, но по-късно се оказа, че метронидазолът

последните години броят на патогените на бактериална вагиноза, резистентни на антибиотици,

се увеличава, явление, свързано предимно с образуването на биофилм от патогени. Според данните от проучванията, проведени от "Fighting

ловината жени са проявили отново симптоми на заболяването. Лечението на бактериалната вагиноза все още е голямо предизвикателство. Механизмите на антибио тична резистентност на микроорганизмите са сложни, един от които са биофилмите, образувани от бактериите, недопускащи разрушаването им от антибиотиците.

Метронидазол или клиндамицин остават все още лекарства като първи избор за лечение на бактериална вагиноза, тъй като ефектът от тях е добър, мака и краткотраен, понеже не предотвратяват рецидива на заболяването, не повлияват биофилма на патогените и не го елиминират.

Бактериалната вагиноза е патохистологично рекалцитрантен полимикробен биофилм, който намалява ефекта на антимикробното интравагинално лечение върху патогените, като по този начин компрометира неговото приложение и улеснява рецидивирането на инфекцията. Биофилми, резистентни на подобно лечение, се образуват от много патогени, включително от най-честия причинител на бактериална вагиноза, Gardnerella. Клиничните про -

лечения, които могат да преодолеят свързаната с биофилма резистентност на патогени. Американските центрове за контрол и превенция на заболяванията препоръчват антисептици или дезинфектанти като алтернативи за лечение на бактериална вагиноза, понеже те разрушават биофилма, образуван от патогените, и ги унищожават. АНТИСЕПТИЦИ Напоследък все

през бактериалната мембрана: Малките молекули на антисептиците, като PVP-I, лесно преминават през клетъчните мембрани на бактериите. Това е възможно благодарение на мембранните канали и тяхната способност да се свързват с липидите и протеините в клетъчната мембрана. • Окисление и денатурация на бактериалните протеини: PVP-I освобождава йод в присъствието на влага, който има силно окислително действие.

растежа и размножаването на бактериите, като ги убиват или времен -

но ги парализират, така че те не могат да причиняват инфекция.

ПОВИДОН ЙОД Един от най-широко използваните и най-добре проучени антисептици в клиничната практика е повидон-йод. В сравнение с други антисептици, повидон-йод има:

• най-широк спектър на антимикробно действие;

• бърз и стабилен микробициден

ефект, активен срещу грам-положи -

телни и грам-отрицателни патогени, бактериални спори, гъбички, прото -

зои и някои вируси (включително вируса на свинския грип H1N1);

Доказано е, че PVP-I убива зрели

бактерии и гъбични биофилми in vitro и ex vivo;

Не са описани случаи на директна или кръстосана резистентност на

патогени;

Добре поносим, рядко причинява

алергични реакции (дори ако човек

е алергичен към йод), има ниска цитотоксичност.

Малко молекулният PVP-I е неутрален полимер (поливинилпиролидон),

отделящ свободен йод, който прониква в микробната обвивка и окис -

лява интрацитоплазмените протеини. Този процес не се влияе от

механизмите на резистентност на патогена, включително хромозомна и плазмидна.

Малките молекули на PVP-I бързо проникват във вътрешността на микроорганизма и окисляват жизненоважни протеини, нуклеотиди и мастни киселини, което

крайна сметка причинява смъртта на микробната клетка. PVP-I

ни при болнични инфекции, като Acinetobacter baumanii, Klebsiella pneumoniae, метицилин-чувствите -

резистентен Staphylococcus aureus, Enterococcus fecium, други видове Enterobacter, Pseudomonas

aeruginosa, Escherichia coli и др. По отношение на антимикробния спектър, PVP-I значително превъзхожда други антисептици, често използвани в клиничната практика. Клиничният ефект на PVP-I почти не се намалява от замърсяване на раната с материал от разлагането на органични тъкани. Тъй като PVP-I съдържа йод, лечението може за кратко да повлияе на функцията на щитовидната жлеза, но този ефект бързо изчезва и е клинично незначителен. Повидон-йодът е единственият антисептик, който е активен срещу дерматофитни гъбички Microsporum, Trichophyton. PVP-I също така активно убива обвити и необвити вируси, бактерии и техните спори, гъбички и протозои; микроорганизми, резистентни на хлорхексидин и мупироцин, включително метицилин-резистентни стафилококи. PVP-I убива бактериите в рамките на 15-60 секунди.

В сравнение с други често използвани антисептици (хлорхексидин, полихексанид и октенидин), PVP-I има най-широк спектър на антимикробна активност при лечението на грам-отрицателни бактерии. PVP-I също действа добре срещу бактериални спори и грам-положителни микроорганизми.

Важно е да се отбележи, че PVP-I ефективно елиминира биофилми, образувани от бактерии, които ограничават въздействието на антисептиците

значително да намалят ефективността на хлорхексидин. ВЪЗМОЖНИ НЕЖЕЛАНИ ЕФЕКТИ Повидон-йодът има

1. Lúcia G. V. Sousa et al. “Fighting polymicrobial biofilms in bacterial vaginosis” Microbial Biotechnology. 2023; 16:1423–1437.

2. Rida Nasir at al, “Bacterial Vaginosis: A Review of Pathophysiology, Epidemiology, Complications, Diagnosis, and Treatment” Europasian Journal of Medical Sciences Europasian J Med Sci | Vol 5 | No 1 | Issue 8 | 2023

Мария“ ЕООД

ВЪВЕДЕНИЕ

Процесът на нормалното раждане е сложен физиологичен, но същевре -

менно силно емоционален процес.

Родилният акт често е съпроводен от

интензивна болка, значителни

хемодинамични промени и високо

ниво на психоемоционален стрес.

В исторически план обезболяването при раждане е било предмет на

продължителни етични, религиозни

могат да доведат до намален утеро-плацентарен кръвоток и хипоксия на плода[2]. По тази причина контролът на болката по време на раждане има не само обезболяваща, но и физиологично протективна функция.

Международни организации

но лечение (БДБА)[5,6] ПАТОФИЗИОЛОГИЯ НА РОДИЛНАТА БОЛКА И ВЛИЯНИЕТО Ѝ ВЪРХУ УТЕРО-ПЛАЦЕНТАРНАТА ХЕМОДИНАМИКА Болката по време на раждане има сложен патофизиологичен произход, включващ както висцерални, така и соматични

Ноцицептивната стимулация активира симпато-адреналовата система, което може да има неблагоприятни последствия: вазоконстрикция, тахикардия, повишено артериално налягане и редукция на утеро-плацентарния кръвоток[7]. В резултат на това се наблюдава намалена оксигенация на плода – особено критична при рискови бременности, прееклампсия и вътреутробно изоставане в растежа[7,9]

Съвременните

болката и тревожността, предизвиква респираторна ал -

– не само елиминира болката, но и редуцира катехоламиновата буря, стабилизира сърдечната честота и подобрява утеро-плацентарния перфузионен индекс [7]. Проуч -

вания с доплерови изследвания показват подобрение на диастоличния кръвоток и

по-добра фетална оксигенация след прилагане на епидурална аналгезия[7,8].

Болката при раждане не е само физиологич -

но усещане – тя представлява психосома -

тично преживяване, комбинация от болка, страх и несигурност. Изследвания показват, че страхът от болката сам по себе си увеличава нейната интензивност чрез активация на лимбичната система и хипоталамо-хи -

пофизо-адреналната ос [9]. Адекватната анал -

гезия значително подобрява емоционалния опит на родилката[9,10]

Регионалната аналгезия, включваща епи -

дурална и спинална техника, представлява златен стандарт за контрол на родилната болка според водещите международни ръководства – ACOG, NICE, WHO и EAPM[1,3,4]

ФИЗИОЛОГИЧНИ МЕХАНИЗМИ НА ДЕЙСТВИЕ

Епидуралната аналгезия блокира нервните импулси в коренчетата на гръбначните нер -

ви, преминаващи през епидуралното пространство. Инжектираният локален анестетик (напр. бупивакаин, ропивакаин) инхибира провеждането на болковите сигнали[10]

Съвременните нискодозови протоколи (напр. бупивакаин 0.0625-0.1% с фентанил 2 μg/ml) позволяват запазване на двигателна -

та активност и усещането за натиск, като същевременно поддържат отличен контрол

и психолог. Българските стандарти

препоръки вече задължават родилните отделения да осигуряват 24-часова готовност за прилагане на регионална аналгезия и информирано участие на родилката в избора на метод [5,6]

МЕЖДУНАРОДНИ

(WHO)[1]

няма минимална степен на разкритие,

която да се ограничава прилагането ѝ, а решението следва да се базира изцяло на желанието на родилката.

Националният институт за здраве

ват важността на мултидисциплинарния подход – съвместна работа между анестезиолог, акушер-гинеколог и акушерка.

В национален контекст Българското дружество по анестезиология и интензивно лечение (БДБА)[6] през 2022 г. въвежда конкретни протоколи за безопасност и документиране на информирано съгласие, а Министерството на здравеопазването (МЗ) [5] включва обезболяването като задължителен компонент в стандарта по акушерство и гинекология.

Съвременните европейски и световни протоколи следват общата философия:

• Право на достъп до регионална аналгезия за всяка родилка;

• Безопасност чрез нискодозови техники и комбинирани опиоидно-анестетични разтвори;

• Информирано участие на жената в избора на метод;

• Непрекъснат мониторинг на хемодинамични и фетални параметри;

• Мултидисциплинарен екип и постоянна готовност 24/7.

Тези принципи формират основата

на съвременната анестезиологична

1. World Health Organization (WHO). (2018). Intrapartum care for a positive childbirth experience. Geneva: WHO Press.

2. Pan, P. H., & Eisenach, J. C. (2019). Pain during labor and delivery: Pathophysiology and treatment options. International Journal of Obstetric Anesthesia, 38, 23–31.

3. American College of Obstetricians and Gynecologists (ACOG). (2019). Practice Bulletin No. 209: Obstetric Analgesia and Anesthesia. Obstetrics & Gynecology, 133(3), e208–e225.

4. National Institute for Health and Care Excellence (NICE). (2021). Intrapartum care for healthy women and babies (NG190). London: NICE.

5.

6.

(МЗ). (2021).

7. Reynolds, F. (2020). Epidural analgesia and uteroplacental blood flow: A review. Anaesthesia, 75(2), 203–212.

8. Hawkins, J. L. (2017). Anesthesia-related maternal mortality. Anesthesiology, 128(1), 3–9.

9. Carvalho, B., & Butwick, A. J. (2019). Epidural and spinal analgesia in labor: Current trends and future directions. Current Opinion in Anaesthesiology, 32(3), 253–259.

10. European Association of Perinatal Medicine (EAPM). (2020). Guidelines on perinatal anaesthesia and analgesia.

11. European Society of Anaesthesiology and Intensive Care (ESAIC). (2021). Clinical practice guidelines on obstetric anaesthesia.

И. Венкова, Б. Казанджиева, М. Хитова Клиника “ЕвроДерма” - София

Гладиаторско

ВЪВЕДЕНИЕ Днес се знае, че акнето не е просто повърхностен кожен проблем, а състояние, в което участва цял комплекс от вътрешни и външни стимули: хормонален баланс, микробиом, начин на живот, хранителни навици и дори вид на физическата активност.

През последните години интересът се насочи към ролята на хранителните добавки, особено протеиновите, в отключването или обострянето на акне. С нарастването на фитнес културата и масовия прием на суроватъчен протеин (whey) се наблюдава

отчетливо увеличение на пациенти – предимно млади хора, при които акнето се появява или

възникват вследствие на комбинация от четири основни патогенетични фактора: увеличено производство на себум под контрола на андрогените (повишена чувствителност на андрогенните рецептори), абнормна кератинизация, водеща до образуване на комедони, пролиферация на Cutibacterium acnes и освобождаване на възпалителни медиатори в кожата[1,2,3]

НОВИЯТ ИГРАЧ В ЕТИОЛОГИЯТА: ПРОТЕИНОВИ ДОБАВКИ И АКНЕ Все повече проучвания показват, че високите дози протеини, в частност суроватъчният протеин, могат да повлияят на хормоналния баланс и да стимулират пътищата,

и суши в няколко етапа. Суроватката съдържа пет основни протеина, а именно: β-лактоглобулин, α-лакталбумин, гликомакропептид, протеозен пептон 3, имуноглобулини и други белтъци, които заедно съставляват 85% от суроватъчния протеин[5] Важно е да се отбележи, че реакцията към протеиновите добавки е индивидуална и зависи както от генетична

активира пътя FoxO1/mTORC1 (forkhead box protein O1/mammalian target of rapamycin complex 1 kinase), водещ до експресия на цитокини, фоликуларна хиперкератинизация и повишено производство на себум [6] . Млякото и млечните продукти, съдържащи суроватъчен и казеинов протеин, повишават плазмените нива на постпрандиален инсулин и IGF-1, особено при западната ди -

чително серумни нива на инсулин, IGF-1, глюкоза, както и хормонален профил (общ и свободен тестостерон, DHEA-S, SHBG) – с цел да се установят метаболитни или ендокринни фактори, потенциално участващи в патогенезата на акнето.

ЛЕЧЕНИЕ И ПОВЕДЕНИЕ Лечебният подход трябва да бъде индивидуализиран, като се взема предвид физическата активност на пациента, предпочитанията му относно добавките и тежестта на обрива.

Основната препоръка за пациенти с протеин-индуцирано акне е прекратяване на приема на суроватъчни протеинови добавки. В публикувано

са спрели добавките и са използвали локален комбиниран продукт с ретиноид и бензоил пероксид, пълна регресия на лезиите е наблюдавана след 6 седмици.

с локален ретиноид в комбинация с бензоил пероксид, което е довело до частична регресия на обрива. В друг случай е приложен системен изотретиноин (0.5 -1 mg/kg дневно, пер

1. Muhaidat J, Qablan A, Gharaibeh F, Albataineh GH, Abdo N, Alshiyab D, Al-Qarqaz F. The Effect of Whey Protein Supplements on Acne Vulgaris among Male Adolescents and Young Adults: A Case-Control Study from North of Jordan. Dermatol Res Pract. 2024

2. Williams H. C., Dellavalle R. P., Garner S. Acne vulgaris. The Lancet . 2012;379(9813):361–372

3. Simonart T. Newer approaches to the treatment of acne vulgaris. American Journal of Clinical Dermatology . 2012;13(6):357–364

4. Davoodi S. H., Shahbazi R., Esmaeili S., et al. Health-related aspects of milk proteins. Iranian Journal of Pharmaceutical Research: International Journal of Physics and Research . 2016;15(3):573–591

5. Krissansen G. W. Emerging health properties of whey proteins and their clinical implications. Journal of the American College of Nutrition 2007;26(6):713S–23S

6. Melnik B. C. FoxO1–the key for the pathogenesis and therapy of acne? JDDG: Journal der Deutschen Dermatologischen Gesellschaft . 2010;8(2):105–114

7. Melnik B. C. Evidence for acne-promoting effects of milk and other insulinotropic dairy products. Nestle Nutrition workshop series. Paediatric programme . 2011;67:131–145

8. Simonart T. Acne and whey protein supplementation among bodybuilders. Dermatology. 2012;225(3):256-258

4

1

хистология.

ВЪВЕДЕНИЕ

Кожата е органът, в който най-ви -

димо се проявяват различни пролиферативни лезии, произхождащи

от всички нейни структурни компо -

ненти, включително кератиноцити, меланоцити, фибробласти, съ -

дов ендотел и аднексални структури.

Повечето от тези образувания са доброкачествени, но често наподобя -

ват злокачествени процеси както клинично, така и хистопатологично. Доброкачествените неоплазми и хиперплазии

наблюдение, докато вторите налагат хирургично лечение. Напредъкът в дерматоскопията, имунохистохими

ята и молекулярната дерматопатология значително подобри диагностичната точност, а съвременните терапевтични методи, включител

DISORDERS OF MELANOCYTES (МЕЛАНОЦИТНИ ЛЕЗИИ)

Acquired Nevomelanocytic Nevi (NMN) (Придобити нево-меланоцитни невуси) Доброкачествени пролиферации на невусни клетки, разположени по дермоепидермалната граница (граничен NMN), нахлуващи в папиларната дерма (смесен NMN) или

ничени само в

фиброзиране около 60-годишна възраст[1]

Клинично NMN представляват малки (<1 cm), добре отграничени пигментни макули, папули или нодули с ясни граници[2]. Локализират се предимно по лицето, трункуса, крайниците и скалпа. Обикновено са асимптоматични. Появата на субективни симптоми в даден невус (болка, сърбеж, кървене и др.)

поражда съмнение за малигнена трансформация и изисква внимателно проследяване и евентуална ексцизия[1–3,5]

Лечението включва хирургично отстраняване, като показания за ексцизия са:

• лезии, разположени на скалпа, мукозните мембрани или аногениталната зона;

• бърза промяна в размера или цвета, поява

на неправилни граници, ерозиране на по -

върхността или кървене;

• наличие на субективни оплаквания;

• дерматоскопски белези на дисплазия.

При подозрение за дисплазия се препоръчва ексцизия с последваща окончателна хистологична верификация.

Важно е да се подчертае, че NMN никога не претърпяват малигнена трансформация вследствие на механична манипулация или травма[7]

PRECURSORS OF CUTANEOUS MELANOMA

(Прекурсори на кожен меланом) Всички пигментни лезии имат потенциал за малигнена трансформация, като най-значимите прекурсори са dysplastic melanocytic nevi (DN) и congenital nevomelanocytic nevi (CNMN)[2]

DYSPLASTIC MELANOCYTIC NEVUS (DN)

(Диспластични меланоцитни невуси)

Синоним: атипични меланоцитни невуси. Диспластичните меланоцитни невуси заемат междинно място

невуси се наблюдава „пъстра“ популация от

пигментни лезии - вариращи по големина, цвят и релеф (плоски и надигнати)[1]

DN обикновено се появяват около пубертета и могат да продължат да се развиват през целия живот[3,4]. За разлика от типичните невуси, те не показват матурация в дермата[1,5]. Понякога могат да бъдат съпроводени от субективни оплаквания. Необходимо е стриктно клинично проследяване.

Лечението включва хирургично отстраняване с последваща хистологична верификация[1,2,5]

Пациентите с положителна фамилна анамнеза за меланом изискват особено внимание[1,2,5]

Препоръчват се:

• избягване на слънчева експозиция и употреба на солариуми;

• задължителна фотопротекция с широкоспектърни продукти[2,6]

CONGENITAL NEVOMELANOCYTIC NEVUS (CNMN)

(Конгенитални нево-меланоцитни невуси)

Конгениталните нево-меланоцитни невуси

представляват доброкачествени меланоцитни лезии, налични при раждането или появя -

ващи се малко след това[1,2]. Те варират значи -

телно по характеристики, включително:

• размер: малки (<1.5 cm), средни (1.5–20 cm) и гигантски (>20 cm);

• цвят: от светлокафяв до тъмнокафяв или черен;

• форма: овални, кръгли и др.;

• повърхност: гладка, меко гранулирана, церебриформена, туберозна, верукозна и др.;

• демаркация: ясно или по-дифузно отграничени;

• наличие на окосмяване (вилозни)[2,3].

Гигантските CNMN, особено разположени в

PYOGENIC GRANULOMA (Пиогенна гранулома) Пиогенната гранулома е бързопрогресираща

те конгенитални невуси често се

тоди като тъканни експандери или кожни трансплантации с цел постигане на по-добър функционален и естетичен резултат.

VASCULAR TUMORS (СЪДОВИ ТУМОРИ) (Hemangioma of Infancy, Pyogenic Granuloma) (Инфантилни хемангиоми, пиогенна гранулома)

Съдовите тумори представляват доброкачествени лезии, резултат от пролиферация на ендотелни клетки. Това ги отличава от съдовите малформации, при които са налице структурни аномалии без пролиферативна активност[1,5]. Двата най-чести доброкачествени съдови тумора на кожата са хемангиомът на кърмачетата и

HEMANGIOMA OF INFANCY

(Инфантилен хемангиом)

Инфантилните хемангиоми не са налични при раждането. Те се появяват през първите седмици или месеци от живота (пролиферативна фаза), след което претърпяват пълна или час -

тична спонтанна регресия в ранното детство (инволютивна фаза) и впоследствие остават стационарни[2,9]

Клинично се представят като светлочервени,

меки при палпация плаки или нодули, понякога с улцерация. Обикновено са солитарни и локализирани. След регресия е възможно да останат остатъчни промени като атрофия, депигментация, телеангиектазии или цикатрикси[1,2].

Значим проблем по време на

фаза е рискът

да от пролифериращи капиляри - находка, която може клинично и дерматопатологично да наподобява амеланотичен меланом.

Поради това диференциалната диагноза с меланом е задължителна!

Лечение: • хирургична ексцизия, или • кюретаж с електродисекция на основата.

MISCELLANEOUS CYSTS AND PSEUDOCYSTS (КИСТИ И ПСЕВДОКИСТИ)

Epidermoid Cyst (Епидермоидна киста) Синоними: wen, себацейна киста, инфундибуларна киста, епидермална киста. Епидермоидната киста произхожда

фоликул. Представлява кистична инвагинация на епидермиса

и хора на средна възраст[1,3].

TRICHILEMMAL CYST

(Трихилемална киста)

се екстирпира лесно и радикално[1]

MILIUM (Милиум)

Милиумите представляват 1-2 mm повърхностни, белезникави или жълтеникави епидермални кисти, изпълнени с кератин. Обикновено са множествени и се локализират по себацейно богатите зони – клепачи, зигоматици, чело и др.[1,2]. Срещат се във всички възрастови групи, включително при новородени. Могат да възникнат de novo, в хода на субепидермални булозни дерматози (пемфигоид, булозен лихен планус, придобита епидермолиза булоза и др.) или след травма (дермабразио, изгаряния, лъчетерапия)[2,12]

Лечението се състои в извършване на малка инцизия и евакуация на съдържимото.

MISCELLANEOUS BENIGN NEOPLASMS AND HYPERPLASIAS (ДОБРОКАЧЕСТВЕНИ НЕОПЛАЗМИ И ХИПЕРПЛАЗИИ)

Seborrheic Keratosis (Себорейна кератоза)

Синоним: Verruca seborrhoica.

Себорейната кератоза е доброкачествен епителен тумор, който най-често засяга пациенти в средна и напреднала възраст[1,2]. Лезиите варират по брой и големина[3]. Клинично се представят като еритемни, кафеникави или

хиперкератотични овални или кръгли, ясно демаркирани, надигнати папули или плаки[3] Обикновено са асимптоматични, понякога леко сърбящи. Локализират се по лицето и трункуса, а при жените – често и в субмамарните и интертригинозните зони[2].

Дерматоскопски се наблюдават характерни рогови запушалки[13]

Хистологично се установяват хиперкератоза, акантоза, папиломатоза, рогови псевдокисти, с или без увеличено количество меланин в базалния слой или в целия епидермис[1,5].

Лечението включва криотерапия, кюретаж, шейв-ексцизия, електро- или лазеркоагулация.

BENIGN DERMAL AND SUBCUTANEOUS NEOPLASMS AND HYPERPLASIAS (ДОБРОКАЧЕСТВЕНИ

Lipoma (Липом)

Липомите са доброкачествени субдермални тумори, локализирани най-често по врата, трункуса и крайниците[2]. Срещат се като солитарни или множествени образувания. Клинично се представят като мековати, кръгли или с лобулирана повърхност нодули, които не са сраснали с околните тъкани[1-3,5] Обичайно са с малки размери, но понякога достигат диаметър над 6 cm[2].

Хистологично липомите са изградени от пролифериращи липоцити, разделени от фиброзни септи[1,12]. Ангиолипомите съдържат допълнителен васкуларен компонент и са по-плътни и болезнени при компресия или студова експозиция[1,12]

Отстраняването на липомите се извършва главно по естетични причини, докато ангиолипомите подлежат на ексцизия поради болката и симптоматиката им.

DERMATOFIBROMA

(Дерматофибром)

Синоними: солитарен хистиоцитом, склерозиращ ангиом, доброкачествен фиброзен

хистиоцитом. Дерматофибромът се локализира най-често по крайниците[1]. Развива се в рамките на няколко месеца, след което се стационира по

големина и форма; възможна е и спонтанна регресия[3]. Клинично се представя като асимптоматичен, рядко болезнен дермален нодул, леко надигнат или хлътнал, с плътна, хиперпигментна повърхност, понякога с розов, кафяв или тъмнокафяв оттенък. Лезията е неясно демаркирана спрямо околната кожа[1-3,5]. Характерно е хлътването при латерална компресия – т.нар. dimple sign[2]

Дерматофибромът представлява предимно козметичен проблем и не изисква лечение. При ексцизия е възможно формиране на цикатрикс[2,14]. Пигментираните форми

та гръдна стена[2,15]. Клинично се на -

блюдават плътни папули или нодули с различна форма, като хипертрофичните цикатрикси имат склонност към частична резорбция, докато келоидите продължават да нарастват[3,12] Обикновено са асимптоматични, но понякога се съпровождат от сърбеж или болезненост при палпация.

Хистологично хипертрофичните цикатрикси показват завихрени фиброзни влакна и множество вретеновидни фибробласти, докато келоидите се характеризират с плътни, еозинофилни, ацелуларни колагенови влакна, подредени паралелно[1,5]

Лечението включва интралезионално приложение на кортикостероиди (триамцинолон), силиконови

пластири и гелове, както и хирургична ексцизия, последвана при необхо -

димост от криотерапия или лъчетерапия[2,3].

SKIN TAG

(Кожни фиброми)

Синоними: Acrochordon, мек фибром, папилом.

Кожните фиброми са по-чести при

пачите[2,16]. Клинично се

като меки, с цвета на кожата или кафеникави, кръгли или овални папули, плоски или на краче, с диаметър от над 1 mm до около 10 mm[3].

Обикновено са асимптоматични. Хистологично се установява тънък епидермис и пролиферирала съединителнотъканна строма с неоваскуларизация[1,12]

Лечението включва изрязване, електродисекация или криотерапия[2,3]

ЗАКЛЮЧЕНИЕ Доброкачествените

с различна хистогенеза, морфологични характеристики и клинично поведение. Макар

1. Elder DE, Massi D, Scolyer RA, Willemze R, editors. Lever’s Histopathology of the Skin. 12th ed. Wolters Kluwer; 2023.

2. Bolognia JL, Schaffer JV, Cerroni L, editors. Dermatology. 5th ed. Elsevier; 2021.

3. Wolff K, Goldsmith LA, Katz SI, Gilchrest BA, Paller AS, Leffell DJ, editors. Fitzpatrick’s Dermatology in General Medicine. 9th ed. McGraw-Hill; 2019.

4. Barnhill RL, Piepkorn MW, Busam KJ, editors. Pathology of Melanocytic Nevi and Malignant Melanoma. Springer; 2014.

5. WHO Classification of Skin Tumours. 5th ed. Lyon: IARC; 2023. 6. Swetter SM, Tsao H, Bichakjian CK, et al. Nevi and melanoma. N Engl J Med. 2024;391(3):210–22. doi:10.1056/ NEJMra2303531

7. Tsao H, Bevona C, Goggins W, et al. The transformation rate of moles into cutaneous melanoma: a populationbased estimate. Arch Dermatol. 2003;139(3):282–7. doi:10.1001/ archderm.139.3.282

8. Kinsler VA, Thomas AC, Ishida M, et al. Multiple congenital melanocytic

nevi and neurocutaneous melanosis: molecular genetics, clinical associations, and therapeutic approaches. Lancet Child Adolesc Health. 2017;1(2):88–97. doi:10.1016/S2352-4642(17)30003-4

9. Hoeger PH, Harper JI. Infantile haemangioma: clinical characteristics, management and outcome. Br J Dermatol. 2019;180(3):484–95. doi:10.1111/bjd.17968

10. Léauté-Labrèze C, Hoeger P, Mazereeuw-Hautier J, et al. Propranolol for severe hemangiomas of infancy. N Engl J Med. 2015;372(8):735–46. doi:10.1056/ NEJMoa1404710

11. Lee J, Sinno H. Pyogenic granuloma: a review of clinical features and treatment.

J Cutan Med Surg. 2014;18(4):274–9. doi:10.2310/7750.2014.14141

12. Rapini RP. Practical Dermatopathology. 2nd ed. Philadelphia: Elsevier; 2012.

13. Zalaudek I, Argenziano G, Di Stefani A, et al. Dermoscopy of facial nonpigmented seborrheic keratosis: a morphological study. Br J Dermatol. 2014;170(2):318–24. doi:10.1111/bjd.12578

14. Zaballos P, Puig S, Llambrich A, et al. Dermoscopy of dermatofibromas: a prospective morphological study of 412

cases. Arch Dermatol. 2006;142(3):318–24. doi:10.1001/archderm.142.3.318

15. Gauglitz GG, Korting HC, Pavicic T, et al. Hypertrophic scarring and keloids: pathomechanisms and current and emerging treatment strategies. Mol Med. 2011;17(1–2):113–25. doi:10.2119/ molmed.2010.00160

16. Sudhakar A, Shanthi FX, Manickam C, et al. Association of skin tags with obesity, metabolic syndrome, and diabetes mellitus: a case–control study. Indian J Dermatol. 2018;63(4):290–5. doi:10.4103/ ijd.IJD_104_17

Turn static files into dynamic content formats.

Create a flipbook
Issuu converts static files into: digital portfolios, online yearbooks, online catalogs, digital photo albums and more. Sign up and create your flipbook.