Medical Magazine 09 2025

Page 1


www.medmag bg Редакционна

СЪДЪРЖАНИЕ

ПЕДИАТРИЯ И НЕОНАТОЛОГИЯ

08 БАКТЕРИАЛЕН МЕНИНГИТ ПРИ 3-МЕСЕЧНО БЕБЕ – КЛИНИЧЕН СЛУЧАЙ Д. Зафирова, И. Огнянова, Св. Драганов, Ц. Дойчинова

12 ИМУННИ МЕХАНИЗМИ НА ХРОНИЧНИЯ РИНОСИНУИТ Ст. Димитров, Сп. Тодоров, д.м., О. Стоянов, д.м.

16 ПОВЕДЕНИЕ

Н. Желева, д.м.

32 ИНХИБИТОРИТЕ НА ПРОТОННАТА ПОМПА ПРИ ГЕРБ: НОВИТЕ ПРЕПОРЪКИ, ПРОФИЛ

БЕЗОПАСНОСТ

Н. Мале, П. Карагьозов д.м, FASGE

38 МЯСТОТО НА TYG INDEX (ТРИГЛИЦЕРИДО-ГЛЮКОЗЕН

АКУШЕРСТВО И ГИНЕКОЛОГИЯ

54 ЖЕЛЕЗЕН ДЕФИЦИТ И ЖЕЛЯЗОДЕФИЦИТНА АНЕМИЯ В ЮНОШЕСКА ВЪЗРАСТ – РИСКОВИ ФАКТОРИ И ВЪЗМОЖНОСТИ ЗА ПРЕВЕНЦИЯ В. Карамишева, Д. Колева, Б. Карамишев, А. Колев, Л. Колева, В. Спасова, М. Владимиров, Н. Христов, Д. Христова, М. Перусанова 58 ОЦЕНКА НА РОЛЯТА НА ФАМИЛНАТА И РЕПРОДУКТИВНА АНАМНЕЗА ЗА ИЗЯВА НА ЕСТРОГЕН-ЗАВИСИМИТЕ ЗАБОЛЯВАНИЯ В. Карамишева, М. Владимиров, Д. Колева, Б. Карамишев, А. Колев, Л. Колева, В. Спасова, С. Шумарова, Н. Христов 62 РОЛЯ НА ГЕНЕТИЧНИТЕ ПОЛИМОРФИЗМИ В ГЕНИТЕ

данни: MEDLINE, PsycINFO, AMED, Embase и CENTRAL. Поради големия

ефективен, отколкото неефективен.

Противоречиви или смесени

Растителен лекарствен продукт при:

• краткосрочно лечение на

симптомите при леки до умерени депресии.

• депресивно настроение

• тревожност

• трудно заспиване

• неспокоен сън

клиника, УМБАЛ „Д-р Г. Странски“– Плевен Цел: клиничен случай на бактериална невроинфекция при кърмаче

ай-честите причинители на бактериални не -

вроифекции са: менингококи, стрептококи, H. influenzae, стафилококи, L. monocytogenes, E. coli, Salmonella, Ps.aeruginosa, Cryptococcus neoformans, Enterobacter и др. От бактериални менингити боледуват

лица от всички възрасти, включително новородени и деца в ранна детска възраст. При тях заболяване -

подход, лекувано в Клиника по Инфекциозни болести на УМБАЛ „Д-р Геогри Странски“, гр. Плевен. Касае за дете на 3 месеца (Б.С.Н.), родено per vias naturalis от 4-та нормално протекла

От ликвор се изолира Haemophilus influenzae, чувствителен на

Cefepime: [S]

Cefotaxime: [S], Ceftriaxone: [S], Meropenem: [S] по антибиограма.

След проведената антибактериална (Меронем), антиедемна (манитол, ВСР) дезинтоксикираща (ГКС) и имуностимулираща (Имуновенин) тера -

пия детето отговори задоволяващо. Обективното състояние се подобри драстично. Контролните ликворни и параклинични показатели показаха значително подобрение (Табл. 3

и Табл. 4).

Въпреки започващото подобре -

ние, детето отново става фебрилно – 37.9 0 С, в незадоволително със -

тояние, сънливо. Език - обложен с

белезникъв налеп. Хемодинамич -

но стабилно. НС: фонтанела отново

над нивото на черепните кости. Лесаж - слабо положителен. Опистотонус. Керниг - (+) пол., двустранно.

Брудзински – (-) отр. КР- не се по -

лучават. СР – оживени, двустранно.

ЧМН - интактни. Запазена зенична реакция. Това наложи нови изслед -

вания и консултации с УНГ специа -

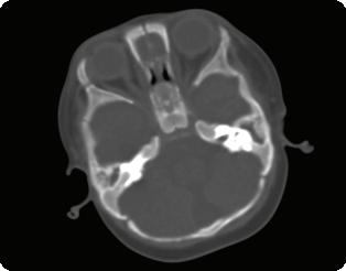
лист с оглед доказания двустранен мастоидит.

Контролната кръвна картина и

ликворните изследвания показаха, че възпалителният процес не е овладян (Табл. 5 и Табл. 6 ).

Консултациите с УНГ специалист

показаха следните резултати: дясно ухо: Отоскопия: бомбиране на

мемрана типани. Направи се парацентеза под обща анестезия - изтече гноен секрет, изпратен за микро -

билогия. От ушен секрет се изолира - Streptococcus pneumoniae. Ляво ухо - тъпанчева мембрана бомбирана. Направи се парацентеза, аспирира се гноен секрет и се изпрати за микробиология. От ушен секрет се изолира - Pseudomonas aeruginosa. Възстанови се отново антиедемната терапия с Манитол и Дексаметазон, антибиотична терапия: Ванкомицин и Амикацин след антибиограма, Дифлазон, и.в. и Фунгостатин локално приложение, симптоматични средства.

Изписа се след 20 дни болничен престой с клиничното и параклинично подобрение (Табл. 7 и Табл. 8).

Осъществен контролен КАТ на глава: не се скенират инфилтративни лезии в мозъчния паренхим.

На първия контролен преглед детето е в много добро общо състояние, с адекватно

тати от клинико-лабораторните изследвания.

ОБСЪЖДАНЕ Представяме случая поради необичайното изолиране

1. https://en.wikipedia.org/wiki/Haemophilus_meningitis

2. https://emedicine.medscape.com/article/1164916-overview

3. https://www.meningitis.org/meningitis/causes/haemophilus-influenzae-type-b-(hib)-meningitis

4. https://medlineplus.gov/ency/article/000612.htm

5. https://www.health.ny.gov/diseases/communicable/haemophilus_influenzae/fact_sheet.htm

Ст. Димитров, Сп. Тодоров, д.м., О. Стоянов, д.м. Клиника по УНГ, УМБАЛ "Царица Йоанна-ИСУЛ"

Имунни

ЕПИДЕМИОЛОГИЯ

CRS засяга около 10.9% от население -

то според проучвания в европейски -

те популации. Сходни данни са пред-

ставени при популациите от Азия и

САЩ[3]. Групата на пациентите с по -

липоза е представена предимно от

мъжкия пол[1]. При изследване на 5

годишния период преди поставянето на диагнозата CRS почти винаги се

открива предхождаща патология[6]. В

този период при пациенти с CRSwNP

се наблюдават по-често алергичен ринит и астма, докато при пациенти с CRSsNP се откриват по-често инфекции на горните и долни дихателни пътища[6]. Тези данни предполагат, че патогенезата на CRSsNP се свързва

Първа линия на неспецифичната защита са епителните клетки, които чрез своето плътно прикрепване помежду си създават физична бариера за патогените. Епителът на носната кухина при пациенти с CRSwNP показва нарушена бариерна функция[9].

протеин

епителния анийонен транспортерпендрин и др.[12-20]

НЕСПЕЦИФИЧЕН КЛЕТЪЧЕН ОТГОВОР Въпреки наличието на множество имунни клетки в лигавицата с хронично възпаление (еозинофили, неутрофили, мастоцити, базофили, макрофаги), в европейската

ват силно повишени стойности на CD19+ В-лимфоцити, CD138+ плазмо -

цити и антитела от всички типове в тъканните проби от CRSwNP сравнени с CRSsNP[29,30]. Антигенната специфичност на регистрираните антитела не е изследвана в подробност, но съществуват доклади за повишени стойности на IgE към ентеротоксин В на S. aureus, IgG и IgA към разнообразни автоантигени[31,32,33]. Тестове с anti-IgE антитяло omalizumab върху пациенти с рецидивираща носна полипоза показват добри терапевтични резултати. Това предполага, че при

1. Fokkens WJ, Lund VJ, Mullol J, et al. European position paper on rhinosinusitis and nasal polyps 2012. Rhinol Suppl. 2012 Mar;23:3. preceding table of contents, 1-298.

2. Bachert C, Pawankar R, Zhang L, et al. ICON: chronic rhinosinusitis. World Allergy Organ J. 2014;7(1):25. PubMed PMID: 25379119;

3. Hastan D, Fokkens WJ, Bachert C, et al. Chronic rhinosinusitis in Europe –an underestimated disease. A GA(2)LEN study. Allergy. 2011 Sep;66(9):1216–1223.

4. Segboer CL, Terreehorst I, Gevorgyan A, et al. Quality of life is significantly impaired in nonallergic rhinitis patients. Allergy. 2018 May;73(5):1094–1100.

5. Campbell AP, Hoehle LP, Phillips KM, et al. Depressed mood is associated with loss of productivity in allergic rhinitis. Allergy. 2018 May;73(5):1141–1144.

6. Tan BK, Chandra RK, Pollak J, Kato A, Conley DB, Peters AT, et al. Incidence and associated premorbid diagnoses of patients with chronic rhinosinusitis. J Allergy Clin Immunol. 2013;131(5):1350–60. doi: 10.1016/j.jaci.2013.02.002. An un-biased assesment of the clinical conditions associated with different forms of chronic rhinosinusitis.

7. Hulse KE. Immune Mechanisms of Chronic Rhinosinusitis. Curr Allergy Asthma Rep. 2016;16(1):1. doi:10.1007/ s11882-015-0579-0

8. Akdis CA, Bachert C, Cingi C, Dykewicz MS, Hellings PW, Naclerio RM, et al. Endotypes and phenotypes of chronic rhinosinusitis: a PRACTALL document of the European Academy of Allergy and Clinical Immunology and the American Academy of Allergy, Asthma & Immunology. J Allergy Clin Immunol. 2013;131(6):1479–90. doi: 10.1016/j. jaci.2013.02.036.

9. Soyka MB, Wawrzyniak P, Eiwegger T, Holzmann D, Treis A, Wanke K, et al. Defective epithelial barrier in chronic rhinosinusitis: the regulation of tight junctions by IFN-gamma and IL-4. J Allergy Clin Immunol. 2012;130(5):1087–

96 e10. doi: 10.1016/jjaci.2012.05.052. First study to show defects in epithelial tight junction function in chronic rhinosinusitis may be related to increased expression of inflammatory cytokines.

10. Pothoven KL, N J, O'Campo C, Suh L, Carter R, Hulse KE, Seshadri S, Tan BK, Chandra R, Peters AT, Harris KE, Conley DB, Grammer LC, Kern R, Schleimer RP. Oncostatin M is elevated in chronic rhinosinusitis and decreases barrier function in human airway epithelium. J Allergy Clin Immunol. 2014;133(2):AB237.

11. Passali D, Ferri R, Becchini G, Passali GC, Bellussi L. Alterations of nasal mucociliary transport in patients with hypertrophy of the inferior turbinates, deviations of the nasal septum and chronic sinusitis. Eur Arch Otorhinolaryngol. 1999;256(7):335–7.

12. Seshadri S, Lu X, Purkey MR, Homma T, Choi AW, Carter R, et al. Increased expression of the epithelial anion transporter pendrin/SLC26A4 in nasal polyps of patients with chronic rhinosinusitis. J Allergy Clin Immunol. 2015 doi: 10.1016/jjaci.2015.05.024.

13. Jiao J, Duan S, Meng N, Li Y, Fan E, Zhang L. Role of IFN-gamma, IL-13 and IL17 on mucociliary differentiation of nasal epithelial cells in chronic rhinosinusitis with nasal polyps. Clin Exp Allergy. 2015 doi: 10.1111/cea.12644.

14. Lee RJ, Cohen NA. Bitter and sweet taste receptors in the respiratory epithelium in health and disease. J Mol Med (Berl) 2014;92(12):1235–44. doi: 10.1007/s00109-014-1222-6.

15. Lee RJ, Xiong G, Kofonow JM, Chen B, Lysenko A, Jiang P, et al. T2R38 taste receptor polymorphisms underlie susceptibility to upper respiratory infection. J Clin Invest. 2012;122(11):4145–59. doi: 10.1172/ JCI64240. Demonstrated that a polymorphism in a bitter taste receptor gene resulted in significantly higher prevalence of upper respiratory infections.

16. Adappa ND, Howland TJ, Palmer JN,

Kennedy DW, Doghramji L, Lysenko A, et al. Genetics of the taste receptor T2R38 correlates with chronic rhinosinusitis necessitating surgical intervention. Int Forum Allergy Rhinol. 2013;3(3):184–7. doi: 10.1002/alr.21140.

17. Adappa ND, Zhang Z, Palmer JN, Kennedy DW, Doghramji L, Lysenko A, et al. The bitter taste receptor T2R38 is an independent risk factor for chronic rhinosinusitis requiring sinus surgery. Int Forum Allergy Rhinol. 2014;4(1):3–7. doi: 10.1002/alr.21253.

18. Lee RJ, Kofonow JM, Rosen PL, Siebert AP, Chen B, Doghramji L et al. Bitter and sweet taste receptors regulate human upper respiratory innate immunity. J Clin Invest. 2014;124(3):1393–405. doi: 10.1172/JCI72094. Demonstrated reciprocol functional regulation between bitter and sweet taste receptors in airway epithelial cells, and provides a potential mechanism for decreased innate immune function of airway epithelial cells in chronic rhinosinusitis.

19. Seshadri S, Lin DC, Rosati M, Carter RG, Norton JE, Suh L, et al. Reduced expression of antimicrobial PLUNC proteins in nasal polyp tissues of patients with chronic rhinosinusitis. Allergy. 2012;67(7):920–8. doi: 10.1111/j.13989995.2012.02848.x.

20. Tieu DD, Peters AT, Carter RG, Suh L, Conley DB, Chandra R, et al. Evidence for diminished levels of epithelial psoriasin and calprotectin in chronic rhinosinusitis. J Allergy Clin Immunol. 2010;125(3):667–75. doi: 10.1016/j.jaci.2009.11.045.

21. Hulse KE, Stevens WW, Tan BK, Schleimer RP. Pathogenesis of nasal polyposis. Clin Exp Allergy. 2015;45(2):328–46. doi: 10.1111/ cea.12472. Comprehensive review on the current understanding of the mechanisms that drive chronic rhinosinusitis with nasal polyps.

22.Van Zele T, Claeys S, Gevaert P, Van Maele G, Holtappels G, Van Cauwenberge P, et al. Differentiation of chronic sinus diseases by measurement of inflammatory mediators. Allergy.

2006;61(11):1280–9. doi: 10.1111/j.13989995.2006.01225.x.

23. Stevens WW, Ocampo CJ, Berdnikovs S, Sakashita M, Mahdavinia M, Suh L, et al. Cytokines in chronic rhinosinusitis. Role in eosinophilia and aspirinexacerbated respiratory disease. Am J Respir Crit Care Med. 2015;192(6):682–94. doi: 10.1164/rccm.201412-2278OC. Comprehensive analysis of inflammatory cytokines and chemokines in distinct chronic rhinosinusitis patient groups.

24. Schleimer RP, Kato A, Kern R. Eosinophils and chronic rhinosinusitis. In: Lee JJ, Rosenberg HF, editors. Eosinophils in health and disease. 1. San Diego, CA: Elsevier; 2012. pp. 508–18. 92101–4495.

25. Mahdavinia M, Carter RG, Ocampo CJ, Stevens W, Kato A, Tan BK, et al. Basophils are elevated in nasal polyps of patients with chronic rhinosinusitis without aspirin sensitivity. J Allergy Clin Immunol. 2014;133(6):1759–63. doi: 10.1016/j.jaci.2013.12.1092. First report of elevated basophil levels in chronic rhinosinusitis with nasal polyps.

26. Derycke L, Eyerich S, Van Crombruggen K, Perez-Novo C, Holtappels G, Deruyck N, et al. Mixed T helper cell signatures in chronic rhinosinusitis with and without polyps. PLoS One. 2014;9(6):e97581. doi: 10.1371/journal.pone.0097581. Comprehensive analysis of T cell subsets in distinct chronic rhinosinusitis patients using intracellular cytokine staining.

27. Zhang N, Van Zele T, Perez-Novo C, Van Bruaene N, Holtappels G, DeRuyck N, et al. Different types of T-effector cells orchestrate mucosal inflammation in chronic sinus disease. J Allergy Clin Immunol. 2008;122(5):961–8. doi: 10.1016/j.jaci.2008.07.008.

28. Van Bruaene N, Perez-Novo CA, Basinski TM, Van Zele T, Holtappels G, De Ruyck N, et al. T-cell regulation in chronic paranasal sinus disease. J Allergy Clin Immunol. 2008;121(6):1435–41. 41 e1–3. doi: 10.1016/j.jaci.2008.02.018.

30. Hulse KE, Norton JE, Suh L, Zhong Q, Mahdavinia M, Simon P, et al. Chronic rhinosinusitis with nasal polyps is characterized by B-cell inflammation and EBV-induced protein 2 expression. J Allergy Clin Immunol. 2013 doi: 10.1016/j. jaci.2013.01.043.

31.Van Zele T, Gevaert P, Watelet JB, Claeys G, Holtappels G, Claeys C, et al. Staphylococcus aureus colonization and IgE antibody formation to enterotoxins is increased in nasal polyposis. J Allergy Clin Immunol. 2004;114(4):981–3. doi: 10.1016/j.jaci.2004.07.013.

32. Tan BK, Li QZ, Suh L, Kato A, Conley DB, Chandra RK, et al. Evidence for intranasal antinuclear autoantibodies in patients with chronic rhinosinusitis with nasal polyps. J Allergy Clin Immunol. 2011;128(6):1198–206 e1. doi: 10.1016/j. jaci.2011.08.037. First demonstration of increased autoantibodies associated with chronic rhinosinusitis with nasal polyps.

33. Jeffe JS, Seshadri S, Hamill KJ, Huang JH, Carter R, Suh L, et al. A role for anti-BP180 autoantibodies in chronic rhinosinusitis. Laryngoscope. 2013;123:2104–11.

34. Gevaert P, Calus L, Van Zele T, Blomme K, De Ruyck N, Bauters W, et al. Omalizumab is effective in allergic and nonallergic patients with nasal polyps and asthma. J Allergy Clin Immunol. 2013;131(1):110–6 e1. doi: 10.1016/j.jaci.2012.07.047. First report of successful treatment of a subset of chronic rhinosinusitis patients with antiIgE therapy.

35. Kim DW, Khaimuratova R, Hur DG, Jeon SY, Kim SW, Shin HW, et al. Staphylococcus aureus enterotoxin B contributes to induction of nasal polypoid lesions in an allergic rhinosinusitis murine model. Am J Rhinol Allergy. 2011;25(6):e255–61. doi: 10.2500/ajra.2011.25.3727.

29. Van Zele T, Gevaert P, Holtappels G, van Cauwenberge P, Bachert C. Local immunoglobulin production in nasal polyposis is modulated by superantigens. Clin Exp Allergy. 2007;37(12):1840–7. doi: 10.1111/j.1365-2222.2007.02838.x.

30-дневното приложение на Бакторинол води до: 39% намаляване на резултата от SNOT 22 (SinoNasal Outcome Test), който оценява влиянието на риносинузит върху качеството на живот, назалните симптоми и психическото благополучие. 85% намаляване на назалната секреция

Г. Въжева, д.м., Л. Тодорова, д.м.

Медицински университет – Пловдив Секция по Дерматология и венерология

Поведение при

ВЪВЕДЕНИЕ

Атопичният дерматит (АД) е

най-честото хронично възпалително кожно заболяване в детска въз -

раст, с разпространените в световен мащаб между 8% и 20%. Заболява -

нето обикновено се проявява през

първите години от живота, като в

около 60% от случаите симптомите

се развиват още през първата година, което има значимо психосоци -

ално отражение върху децата и техните близки[1]. АД е мултифакторно заболяване, което се свързва

социален и здравен проблем[3]

КЛИНИЧНА КАРТИНА

чението могат да доведат до задълбочаване на симптомите, влошаване на качеството на живот и засилване на риска от усложнения.

ТЕРАПЕВТИЧЕН ПОДХОД Лечението на атопичния дерматит при децата изисква комплексен и индивидуализиран подход, който да отчита тежестта на заболяването, възрастта на пациента и наличието в някои случаи на съпътстващи заболявания.

Основна стъпка на терапията е редовната употреба на емолиентни средства за под -

държането на хидратацията в кожата, което има ключова роля за възстановяването на бариерната функция[3]. Контролът на въз -

палението се осъществява предимно с ло -

кални противовъзпалителни средства. Ло -

калните кортикостероиди остават терапия на първи избор за овладяване на екзацербациите, като тяхното използване трябва да

бъде ограничено в кратки срокове. Калциневриновите инхибитори, като такролимус

и пимекролимус, се използват като стероид-заместващи агенти, особено при деликатни области, като лице и кожни гънки. Тяхното използване може да бъде с по-голяма продължителност [4] .

При по-тежки и рефрактерни форми на заболяването се налага прилагане на сис -

темна терапия. Класическите имуносупресивни средства включват циклоспорин, метотрексат, азатиоприн и микофенолат мофетил, като техният избор и проследяване изискват стриктна медицинска преценка и все по-рядко се прилагат в клиничната практика [5,6] . През последните години значим напредък представляват биологичните агенти и JAK-инхибиторите. Dupilumab е първото биологично средство, одобре -

но в България за употреба при деца на и

над 12-годишна възраст с умерено тежък до тежък атопичен дерматит, като клинич -

ните проучвания показват добра ефективност и профил на безопасност.

чението за правилна употреба на локални и системни медикаменти, разпознаването на ранните признаци на екзацербации и редовното проследяване от специалист са ключови за поддържането на дългосрочен контрол върху заболяването[1,3]. Често родители на по-малките деца се обучават от лекуващия лекар на т.нар. подход „стъпка нагоре, стъпка надолу“. Това представлява подход, чрез който родителите се научават да разпознават обострянията на заболяването и

средства като кортикостероиди, както и кога могат да преустановят тяхната

на АД, получаващи биологична терапия, е свързана с ваксинациите. Според съвременните консенсусни препоръки, пациентите, лекувани с dupilumab, могат без -

опасно да получават всички инактивирани ваксини, докато прилагането на живи атенюирани ваксини следва да се обмисля индивидуално и с участието на съответните специалисти[7]

УСЛОЖНЕНИЯ

АД често е съпроводен от редица усложнения. Нарушената кожната бариера и хроничното възпаление предразполагат към развитие на бактериални инфекции, най-често със Staphylococcus aureus, както и вирусни

инфекции като eczema herpeticum (от HHV)

и гъбични инфекции[2]. Допълнително, заболяването е тясно свързано с други атопични състояния – хранителни алергии,

засегнати, което

управление на заболяването.

От терапевтична гледна точка, нежеланите ефекти също могат да бъдат причислени

към усложненията. Продължителната употреба на локални кортикостероиди може да

доведе до кожна атрофия и телеангиекта -

зии, докато системните имуносупресори носят риск от сериозни инфекции и органна

токсичност [4] .

Трябва да се отбележи, че лечението на

АД с таргетни биологични терапии и мал -

ки молекулни инхибитори подобрява терапевтичните резултати и предлага по-добра ефективност и профил на безопасност, в сравнение с традиционните терапии. Въпреки това, при терапията с Dupilumab се регистрира конюнктивит до

на болестта [8]

ОБСЪЖДАНЕ

Съвременното поведение при атопичния

дерматит при децата изисква интегриран подход, който съчетава контрол на възпалението, възстановяване на кожната барие -

ра и минимизиране на екзацербациите чрез

обучение и активно проследяване. Въпре -

ки множеството нови терапевтични възмож-

ности, основата на лечението остава редовната употреба на емолиенти и локалните противовъзпалителни средства[2,4].

През последните

на квалифицирани диетолози необходимо за мултидисциплинарното

е свързана с АД, като се характеризира с намалено микробно разнообразие и увеличено присъствие на вредни бактерии, като Clostridium difficile. Този дисбаланс може да доведе до повишена

заболяване, което оказва съществено влияние върху качест-

-

мейства. Развитието му е резултат от сложни взаимодействия между генетични фактори, дисфункция на кожната бариера, имунологични нарушения и външни отключващи фактори като инфекции, хранителни алергии и особености на начина на живот.

През последното десетилетие терапевтичният

системни терапии до таргетни биологични лечения и малки молекули, които демонстрират по-добър профил на ефективност и безопасност. Паралелно с това се акцентира върху немедикаментозните интервенции, включително правилната грижа за кожата, хигиената на съня, управлението на стреса и психологическа подкрепа, които са не по-малко важни за успешното дългосрочно овладяване на заболяването. Въпреки наличието

1. Lee SI, Kim J, Han Y, Ahn K. A proposal: Atopic Dermatitis Organizer (ADO) guideline for children. Asia Pac Allergy. 2011;1(2):53–63. doi:10.5415/apallergy.2011.1.2.53.

2. Napolitano M, Fabbrocini G, Martora F, et al. Children atopic dermatitis: Diagnosis, mimics, overlaps, and therapeutic implication. Dermatol Ther. 2022; e15901. doi:10.1111/dth.15901.

3. Siegels D, Heratizadeh A, Abraham S, et al. Systemic treatments in the management of atopic dermatitis: a systematic review and meta-analysis. Allergy. 2020. doi:10.1111/all.14631. 4. Wang Q, Liu L, Gao S, Su S. Guidelines for the Management of Atopic Dermatitis in Children: A Systematic Review. Int Arch Allergy Immunol. 2023;184(2):132-141. doi: 10.1159/000527007. Epub 2022 Nov 2. PMID: 36323240. 5. Wollenberg A, Kinberger M, Arents B, et al. European guideline (EuroGuiDerm)

on atopic eczema: part I – systemic therapy. J Eur Acad Dermatol Venereol. 2022;36(9):1409–1431. doi:10.1111/ jdv.18345.

6. Eichenfield LF, Boguniewicz M, Lauren CT, Leung DYM, Levy ML, Schneider LC, Siegfried EC, Tom WL, Paller AS. Systemic Therapy for Atopic Dermatitis in Children and Adolescents: A US Expert Consensus. Dermatology. 2024;240(5-6):897-909. doi: 10.1159/000540920. Epub 2024 Oct 15.

PMID: 39406204; PMCID: PMC11651338. 7. Martinez-Cabriales SA, Kirchhof MG, Constantinescu CM, et al. Recommendations for Vaccination in Children with Atopic Dermatitis Treated with Dupilumab: A Consensus Meeting, 2020. Am J Clin Dermatol. 2021;22(3):443–455. doi:10.1007/s40257-021-00607-6.

8. Abdel-Mageed, H.M. Atopic dermatitis: a comprehensive updated review of this intriguing disease with futuristic insights. Inflammopharmacol 33, 1161–1187 (2025). https://doi.org/10.1007/s10787-02501642-z. 9. Bhatt M et al. Special Considerations in Atopic Dermatitis in Young Children. Dermatol Clinics. 2024; 611-617. doi. org/10.1016/j.det.2024.05.003. 10. Criado PR et al. Update on the pathogenesis of atopic dermatitis. An Bras Dermatol. 2024;99(6):895-915. doi:10.1016/j.abd.2024.06.001.

Б. Дангъров, неонатолог, педиатър, СБАЛДБ ЕАДСофия

М. Маленова, педиатър, СБАЛДБ ЕАД - София

Абстинентен синдром при новородени

СТАТИСТИКА

Първият описан случай е от 1875 г., когато е въведен терминът „вроден морфинизъм“. През 1903 г. е предложено лечение с морфин, а през 1964 г. – терапия с метадон. В последните десетилетия честотата на НАС нараства значително. Според

епидемиологични данни, 1.1% от бременните жени употребяват опи -

оиди, като 0.9% използват опиоид -

ни аналгетици, а 0.2% – хероин. През

периода 2000-2009 г. честотата на

опиоидна експозиция при бременни се увеличава от 1.2 на 1000 новоро -

дени до 5.6 на 1000, а честотата на

НАС – от 1.2 на 1000 до 3.4 на 1000.

родени, с

ПАТОФИЗИОЛОГИЯ И ПАТОБИОХИМИЯ

Синтетичните опиати, които са водноразтворими, липофилни и с

ниско молекулно тегло, преминават лесно през плацентата. Комбинацията от хероин и метадон повишава пропускливостта на плацентарната и кръвно-мозъчната бариера и удължава полуживота

болка) и алодиния (болка при стимули, които обичайно не са болезнени). Към периферните ефекти се отнася периферен вазоспазъм с намаляване притока на кръв към маточната артерия, а оттам и намален приток на кръв към плода и развитие на инфаркти в плацентата. Периферният вазоспазъм у майчиния организъм води до повишаване на

кръвното налягане, което може да доведе до инфаркти в плацентата и се предполага, че причинява инсулти у плода, поради намалената перфузия през плацентата. Повишена е склонността на маточната тъкан към съкращение и е понижен прагът на възбудимост към външни фактори, водещи до повишен контрактилитет и повишена честота на преждевременните раждания при майки-наркоманки. Доказано е, че наркотиците водят до експресията на гени, свързани с активиране на апоптозата (програмирана клетъчна смърт), което вероятно е свързано с повишената честота на вродените дефекти у плода, нарушено развитие на моноаминергичната система и ред други дефекти на биохимично и структурно ниво.

ЕФЕКТИ НА ИЗПОЛЗВАНИТЕ СУБСТАНЦИИ ВЪРХУ ПРОТИЧАНЕТО НА БРЕМЕННОСТТА, ПЛОДА И НОВОРОДЕНОТО Ефектите на марихуаната, употребявана по време на бременност, са свързани с по-висок риск от преждевременно раждане и поява на дете с ниско тегло.

Използването на кокаин или метамфетамини увеличават риска от спонтанен аборт в началото

са в областта на когнитивните функции, обработката на информация, както и вниманието.

По време на бременността, употребата на наркотични вещества повишава многократно риска от развитие на хипертония и периферен вазоспазъм, даващ отражение върху съдовете на плацентата и храненето на плода. Вещества от метаболизма на наркотиците

Едно от най-сериозните усложнения е неонаталният абстинентен синдром - състояние, възникващо от няколко часа до дни след раждането.

рактеризира с

изоставане на детето

те за растеж и развитие. Засегнати са предимно дихателната и храносмилателната система - с развитие на респираторен дистрес синдром при новороденото, инфаркти в червата и мотилитетни нарушения на гастроинтестиналния тракт. От вродените дефекти се забелязва повишена честота на дефектите на сърдечно-съдовата система - междукамерни дефекти,

Децата, с риск от развитие на НАС следва да бъдат наблюдавани и оценявани на всеки 3-4 часа. Клиничната картина включва тремор, раздразнителност, пронизителен плач, диария, гърчове, повишена възбудимост, нарушения на съня, хиперрефлексия, хипертонус, температурна нестабилност, повръщане, често кихане и затруднено наддаване на тегло. Началото на симптомите варира: при хероин – бързо настъпване и по-кратко протичане; при метадон или бупренорфин – по-късно, но по-продължително; при метамфетамини – почти незабавно; при психофармацевтици – самоограничаващо се; при комбинирана употреба на опиоиди и барбитурати или бензодиазепини –забавено начало.

За оценка на състоянието както и за започване на медикаментозна тера -

пия се използват критериите на Финигън, които през годините често се модифицират:

Писклив плач

• прекомерен 2 т.

• постоянен 3 т.

Продължителност на съня след хранене

• <3 ч. 1 т.

• <2 ч. 2 т.

• <1 ч. 3 т.

Рефлекс на Моро

• хиперактивен 1 т.

• изразено хиперактивен 2 т.

Тремор при дразнене

• лек 1 т.

• умерен до тежък 2 т.

• повишен мускулен тонус 1-2 т.

Освен това

• Екскориации 1-2 т.

• Генерализирани гърчове 8 т.

• Телесна температура >37.2 1 т.

• Прозяване повече от 4 пъти 1 т.

• Изпотяване 1 т.

• Назална конгестия 1 т.

• Дихателна честота >60/мин. 1 т.

• Лошо хранене 2 т.

• Повръщане 2 т.

• Диария 2 т.

• Патологичен тегловен спад над 10% 2 т.

• раздразнителност 1-3 т.

Диагнозата се основава на интраи постнатално проведени физикални и инструментални изследвания.

Важен етап е снемането на подроб -

на анамнеза на родилката, особе -

но при такива от рискови континген -

ти. Необходимо е провеждането на

ехографско изследване за просле -

дяване размерите и състоянието на

плода, жизнеспособността, наличието на вродени аномалии. Преди раждането се провежда кардиотокографско изследване за оценка готовността за раждането. Възможно

изследване -

урина от майката, за да се определи вида на приеманата дрога. Диагнозата може да се подпомогне чрез токсикологично изследване на мекониум, урина, коса или пъпна връв. Мекониумът позволява откриване на експозиция от 20-та гестационна седмица, но е чувствителен към светлина и температура и може да даде фалшиво положителни или отрицателни резултати при контаминация или неправилно съхранение.

Диференциална диагноза се прави с някои състояния у новороденото като хипогликемия, хипокалциемия, хипертиреоидизъм, хипоксично-исхемична енцефалопатия, вътремозъчен кръвоизлив и други.

Лечението включва немедикаментозни и медикаментозни подходи. Немедикаментозните мерки обхващат щадящи грижи, хранене при поискване, минимално събуждане на спящото дете, поддържане на слабо осветление и нисък шум, често хранене с висококалорично мляко, „кенгуру“ метод, водни легла, масаж, музикотерапия и съвместно настаняване с майката. Опиоидите преминават в минимални количества през кърмата и носи ползи от подобрена връзка между майката и детето,

1. Kocherlakota P. Neonatal abstinence syndrome. Pediatrics. 2014

2. Jones HE, et al. Methadone and buprenorphine in the treatment of opioid dependence during pregnancy. 2014

3. Patrick SW, et al. Neonatal abstinence syndrome and associated health care expenditures 2012

4. Hudak ML, Tan RC. Neonatal drug withdrawal. Pediatrics. 2012

5. Concheiro M, et al. Placental transfer of methadone and buprenorphine in pregnant women. 2010

6. Bateman BT, et al. Patterns of opioid

utilization in pregnancy in the United States. Anesth Analg. 2014

7. Jansson LM, Velez M. Neonatal abstinence syndrome. Curr Opin Pediatr. 2012

8. Cleary BJ, et al. Methadone and perinatal outcomes: a retrospective cohort study. Am J Obstet Gynecol. 2011 9. Hudak ML, Tan RC. Neonatal drug withdrawal. 2012

10. Finnegan LP, Kaltenbach K. Neonatal abstinence syndrome. In: Hoekelman RA, ed. Primary Pediatric Care. 4th ed. Mosby; 2001.

11. Wiles JR, et al. Pharmacologic management of neonatal abstinence

syndrome: a systematic review Pediatrics. 2014

12. Montgomery D, et al. Meconium and urine drug testing in newborns. Arch Dis Child

Fetal Neonatal Ed. 2006

13. NSW Department of Health, Intergovernmental Committee on Drugs, Ministerial Council on Drug Strategy. National clinical guidelines for the management of drug use during pregnancy, birth and the early development years of the newborn. Sydney: NSW Department of Health; 2006.

14. Kandall SR. Treatment strategies

for drug-exposed neonates. Clinics in Perinatalogy. 1999;26(1):231-43.

15. American Academy of Pediatrics. Neonatal drug withdrawal. Pediatrics. 1998;101(6):1079-87.

16. Gomella TL, Cunningham MD, Eyal FG, Zenk KE. Neonatology: management, procedures, on-call problems, diseases, and drugs. 5 ed. New York: McGraw-Hill; 2004.

17. Finnegan LP, Kaltenbach K. Neonatal abstinence syndrome. In: Hoekelman RA, Friedman SB, Nelson N, Seidel HM, editors. Primary pediatric care. 2 ed. St Louis: C V Mosby; 1992. p. 1367-78.

18. Western Australian Centre for Evidence Based Nursing & Midwifery, January 2007 (RHSET 01660A) Page 12 of 13 All guidelines should be read in conjunction with the Disclaimer.

19. Johnson K., Gerada C., Greenough D. Arc Dis Child Fetal Neonatal Ed 2003;88;F2-F5З. 20. Policy, Guidelines and Procedure ManualThe Royal Women's Hospital 06/09/2011. 21. Western Australian Centre for Evidence Based Nursing & Midwifery, January 2007 (RHSET 01660A) Page 11 of 13 All guidelines.

Н. Желева, д.м. Клиника по Гастроентерология, УМБАЛ “Св. Иван Рилски”София

Пробиотиците - защо са важни за нашето здраве?

Пробиотиците са живи микроорганизми - предимно бактерии и дрожди, които прилагани в достатъчни

количества водят до благоприятен

ефект върху здравето на човека (СЗО, 2002 г.). Обикновено те са млечно -

кисели бактерии, изолирани от сто -

машно-чревния тракт на човека, но

могат да бъдат от растителен про -

изход или храни. Те се прилагат за

подпомагане на храносмилателната

система на човека, както и за регулиране на имунната система.

Пребиотиците са фибри, неразгради -

ми от човека вещества, които стимулират растежа и активността на полезните бактерии. Те биват: инулин, олигофруктоза, олигозахариди.

Синбиотиците са продукти, съдържащи едновременно пробиотик и пребиотик.

Видовете пробиотици са: - Монощамови - формулата включва един щам от някои родове; - Мултищамови - формулата включва повече от един щам от определени родове; - Мултивидови - формулата включ -

щамове от различни родове.

орган. Нарушаването на чревната микробиота (дисбиоза)

може да бъде предизвикано както от външни фактори (например диета, апендектомия, употреба на антибиотици), така и от собствени фактори (стареене, генетика, стрес).

Смята се, че дисбиозата променя оста черва-мозък и оказва влияние

върху контрола на апетита и мозъчната функция. Налице е връзка между чревната микробиота и сърдечно-съдовите заболявания на базата на микробното метаболизиране на холин, фосфатидилхолин и Л-карнитин. Сред често и последователно докладваните резултати са отрицателната връзка

биохимични и антителни функции на имунната система.

калните макрофаги към увеличаване на антигенната изява на В-лимфоцитите, модулиране на цитокиновите профили и индуциране на хипореактивността спрямо хранителните антигени.

Неимунологичните включват промяна на локалното рН и създаване на неблагоприятна среда за патогените, продукция на бактериоцини, отстраняване на оксидните радикали, стимулиране секрецията на слуз от епитела на червата, подобряване на чревната бариерна функция, продукция на бактериоцини, които инхиби -

научно доказана

с човешки произход.

Млечнокиселите бактерии са най-голямата група пробиотици, вероятно поради дългата им употреба. Пробиотичните микроорганизми са

родовете Lactobacillus, Bifidobacterim, Enterococcus - LAB, Saccharomyces boulardii - вид дрожди.

Всеки род има различни видове (Виж Табл. 1).

Bifidobacterim Lactobacillus Coccus

Bifidobacterium Bifidum

Bifidobacterium Breve

Bifidobacterim Infantis

Bifidobacterim Lactis

Bifidobacterium Longum

Табл. 1

патогените, конкуренция с патогените за адхезионна площ, както и модификация на токсините, отделени от патогените.

Ето защо пробиотичното позитивно въздействие е върху различни аспекти на нашето здраве - алергии, диария, орално здраве, възпалителни чревни заболявания, лактозна непоносимост.

За да е ефективен и безопасен пробиотикът, трябва да отговаря на ре -

дица условия. Най-важните от тях

са: резистентност на секретите в

горния ГИТ, преживяемост по време на пасажа през ГИТ, способност за адхезия по повърхността на чревната стена, способност за колони -

Lactobacillus Acidophilus

Lactobacillus Casei

Lactobacillus Plantarum

Lactobacillus Rhamnosus

Lactobacillus Salivarius

редица ползи и предимства. Според анализ на 59 двойно-слепи, плацебо контролирани проучвания, сравняващи ефективността на монощамовите, спрямо мултищамовите пробиотици резултатите показват, че мултищамовите пробиотици превъзхождат с над 20% ефективността на монощамовите при диария, свързана с прием на антибиотици и при остра диария. С над 25% са по-ефективни при синдрома на дразнимото черво и с над 60% са по-ефективни при чревно-възпалителни

Enterococcus faecium

Enterococcus facalis

Enterococcus Lactis

Streptococcus Lactis

Streptococcus Thermophillus

стимулира производството на различни имунни клетки като Т-клетки, В-клетки и естествените убийци NK-клетки. Именно тези клетки са отговорни за разпознаването и елиминирането на патогени в организма. Освен това, Bifidobacterium bifidum насърчава

2.Bifidobacterum

3. Bifidobacterim

4. Streptococcus thermophiles

6. Lactobacillus bulgaricus - поддържа

7. Saccharomyces plantarum - подпомага усвояването и абсорбирането на ценни хранителни вещества, витамини и антиоксиданти.

8.Lactobacillus rhamnosus - способства баланса и укрепване на здравето на

9. S. Boulardii -

1. K. Kailasapathy, J Chin. Immun Cell Biology, 2010, 78: 80-88

2. Allen SJ et al. Probiotics for treating acute infectious diarrhea. Cochrane Database Syst Rev 2010: 11: CD0034048

3. Riaz M et al. Indian J Pediatr 2012: 79: 478-82

4. Correa NB et al. Pediatr Gastroenterol Nutr 2011: 53: 497-501

5. Swajewska H et al. Aliment Pharmacol Ther 2009: 30: 955-63

6. Swajewska H et al. Aliment Pharmacol Ther 2007: 25: 257-64

7. World Gastroenterology Organisation Practice Guideline Probiotics and prebiotics May 2008

8. Gogineni et al., J Prob Health, Journal of Probiotics and Health 2013, 1:1, ISSN : 2329

9. J Neurogastroenterol Motil, Vol 28 No2, April, 2022, pISSN: 2093-0879, Eamonn M M Quigley

10. Dinleyci EC et al. Expert Opin Bio Ther 2012, 12: 395- 410

11. Schezenmeir J de Vrese M et al. Am J Clin Nutr 2011: 73: 361S-4S

12. Еuropean Journal of Pharmacology, How probiotic Lactobacilli communicate with the host- Daniela M. Remus, Michiel Kleerebezem, Peter A. Bron, Volume 668, Supplement 1, September 2011, Pages S33-S42

13. NIH, Pub Med Central, Microbiome and Allergic Diseases, Mariona Pascal et al. 2018, Jul 17: 9: 1584

14. W. H. Wilson Tang Circulation Research. Gut Microbiota in Cardiovascular Heaith and Disease, Volume: 120, Issue:7, Pages 1183-1196, DOI:(10.1161/CIRCRESAHA.117.309715.

Н. Мале, П. Карагьозов д.м, FASGE

Клиника по Гастроентерология "Аджибадем Сити Клиник УМБАЛ Токуда" - София

ВЪВЕДЕНИЕ

Гастроезофагеалната рефлуксна болест (ГЕРБ) е едно от най-честите хронични гастроентерологични заболявания, засягащо между 14 и 25% от

населението в индустриализираните страни[1]. В България се наблюдава сходна тенденция, като заболява -

нето води до значителни социални и икономически последици, свързани с нарушено качество на живот и повишени разходи за здравеопазване[2].

ГЕРБ представлява хронично, рецидивиращо заболяване, което ряд-

ко прогресира, но е свързано с редица сериозни усложнения от

на стомашно съдържимо в хранопровода, орофаринкса, ларинкса или дихателните пътища, като води до симптоми като парене зад гръдната кост, регургитация и диспепсия[5-8]. По-редки симптоми включват кашлица, интермитентна свиркаща хриптене, възпаление на гласните връзки, атипична гръдна болка, дисфагия и дрезгавост. С други думи, ГЕРБ може да бъде дефинирана като „състояние, при което рефлуксът

Поддържащо лечение

Алтернативни медикаменти

Нереспондери на ИПП

смяна ИПП, ендоскопия, pH-метрия)

Минимална ефективна доза ИПП. On-demand режим при НЕРБ. Дългосрочна терапия при тежък езофагит (LA C-D), Баретов хранопровод или висок риск (НСПВС)

H2-блокери:

за

Фиг. 2 Алгоритъм

ческата препоръка е редовна преоценка на нуждата от

P-CABs Калиево-конкурентна блокада на протонната помпа

Бързо (минути–часове)

Много бързо (с часове)

нараства интересът към нови медикаменти и

оптимизирани терапевтични схеми[17]. Всеки от тези класове медикаменти има различен механизъм на действие, начало на ефект, ефикасност и ограничения. За по-голяма яснота тези характеристики са обобщени в Табл. 3

H2-рецепторни антагонисти (H2RA)

H2-блокерите (ранитидин, фамотидин, низатидин) имат по-бързо начало на

действие в сравнение с ИПП, но по-слабо и по-краткотрайно потискане на стомашната киселинност. Те намират място при пациенти с нощна киселинна „пробивна“

секреция или като опция при лека симптоматика. Дългосрочната им употреба е ограничена поради развитие на тахифилаксия (намалена ефективност след няколко седмици терапия) [17]

Калиево-конкурентни киселинни блокери (P-CABs)

P-CABs (vonoprazan, tegoprazan, fexuprazan) са нов клас медикаменти, които блокират протонната помпа по конкурентен механизъм спрямо калиевите йони. Те се отличават с бързо начало на действие, по-стабил -

Ефективни

Сравнима или по-висока от ИПП; стабилна киселинна супресия

Тахифилаксия при хронична терапия; по-слаба супресия

Ограничена наличност извън Азия; малко дългосрочни данни

практика

обаче трябва да бъде индивидуализирана и

базирана на проследяване на симптомите[11]

Други агенти Разработват се и нови медикаменти, насочени към подобряване на гастроезофагеалната мотилност (напр. нови прокинетици) и

към защита на мукозната бариера, но тяхната ефективност все още не е достатъчно добре установена.

АЛГОРИТЪМ ЗА РАЦИОНАЛНА УПОТРЕБА НА

PPI

Според последните препоръки на ACG 2022[11]

диагностичният подход при пациенти с типични симптоми на гастроезофагеална рефлукс-

на болест (ГЕРБ) започва с емпирично лечение с инхибитори на протонната помпа (ИПП), при условие че липсват алармиращи признаци; при наличие на такива или при непълен отговор се препоръчва ендоскопия. Първа линия терапия е

при пациенти на НСПВС) се препоръчва дългосрочна терапия. H2-бло -

керите имат ограничено приложение, основно при нощни симптоми, а

новите калиево-конкурентни блокери на киселинната секреция (P-CABs, напр. vonoprazan) показват обеща-

ваща ефективност с по-бърз и по-силен ефект. При пациенти без отговор

на ИПП трябва да се проверят ком-

плайънсът и правилният прием, да се оптимизира дозата или да се смени медикаментът, като се има предвид възможна функционална киселинна хиперсензитивност или некиселинен рефлукс. При рефрактерна ГЕРБ се обсъждат ендоскопски и хирургични методи (фундопликация, LINX система) в подходящи случаи. При Баретов хранопровод се препоръчва поддържаща терапия с ИПП и ендоскопско проследяване според индивидуалния риск. По отношение на безопасността, наличните данни не доказват категорично повишен риск при дълго

1. Zhang D, Liu S, Li Z, Wang R. Global, regional and national burden of gastroesophageal reflux disease, 19902019: update from the GBD 2019 study. Ann Med. 2022 Dec;54(1):1372-1384. doi: 10.1080/07853890.2022.2074535. PMID: 35579516; PMCID: PMC9122392.

2. Ofman JJ. The economic and quality-of-life impact of symptomatic gastroesophageal reflux disease. Am J Gastroenterol. 2003;98(3 Suppl):S8–14. doi:10.1016/S0002-9270(03)00010-8.

3. Sontag SJ, et al. Gastroesophageal reflux disease is a chronic, relapsing disease. Clin Gastroenterol Hepatol. 2006;4(3):S1–S7.

4. Ruigómez A, et al. Mortality in a cohort of patients newly diagnosed with gastroesophageal reflux disease. Am J Gastroenterol. 2004;99(7):1179–85.

5. Dent J, et al. An evidence-based appraisal of reflux disease management – the Genval Workshop Report. Gut. 1999;44 Suppl 2:S1–16.

6. Farup C, et al. The impact of nocturnal symptoms associated with gastroesophageal reflux disease on health-related quality of life. Arch Intern Med. 2001;161(1):45–52.

7. Shaker R, et al. GERD: Clinical spectrum, pathophysiology, and diagnosis. Am J Med. 2003;115 Suppl 3A:67S–73S.

8. Orlando RC. Pathophysiology of gastroesophageal reflux disease. Clin Cornerstone. 2006;8 Suppl 2:S9–S19.

9. Vakil N, van Zanten SV, Kahrilas P, Dent J, Jones R; Global Consensus Group. The Montreal definition and classification of gastroesophageal reflux disease: a global evidence-based consensus. Am J

Gastroenterol. 2006;101(8):1900–20. 10. Maideen NMP. Adverse Effects Associated with Long-Term Use of Proton Pump Inhibitors. Chonnam Med J. 2023 May;59(2):115-127. doi: 10.4068/cmj.2023.59.2.115. Epub 2023 May 25. PMID: 37303818; PMCID: PMC10248387. 11. Katz PO, Dunbar KB, SchnollSussman FH, Greer KB, Yadlapati R, Spechler SJ. ACG Clinical Guideline for the Diagnosis and Management of Gastroesophageal Reflux Disease. Am J Gastroenterol. 2022 Jan 1;117(1):27-56. doi: 10.14309/ ajg.0000000000001538. PMID: 34807007; PMCID: PMC8754510. 12. Hossa K, Małecka-Wojciesko E. Advances in GERD management: exploring PCABs and novel therapies.

Pharmaceuticals. 2025;18(5):699

13. Jankovic K, Gralnek IM, Awadie H. Emerging long-term risks of the use of proton pump inhibitors and potassiumcompetitive acid blockers. Annu Rev Med. 2025;76:xx–xx. doi:10.1146/annurevmed-020223-024928.

14. Xia, B., He, Q., Smith, F.G. et al. Individualized prevention of proton pump inhibitor related adverse events by risk stratification. Nat Commun 15, 3591 (2024). https://doi.org/10.1038/s41467024-48007-8

15. Farrell B, Pottie K, Thompson W, Boghossian T, Pizzola L, Rashid FJ, Rojas-Fernandez C, Walsh K, Welch V, Moayyedi P. Deprescribing proton pump inhibitors: Evidence-based clinical practice guideline. Can Fam Physician. 2017;63(5):354–64.

16. Awad A, Al-Tunaib A and Al-Saraf S (2024), Physicians’ perceptions and awareness of adverse effects of proton pump inhibitors and impact on prescribing patterns. Front. Pharmacol. 15:1383698. doi: 10.3389/ fphar.2024.1383698

17. McNicholl AG, Molina-Infante J, Lucendo AJ.Emerging therapeutic options for gastroesophageal reflux disease: beyond proton pump inhibitors. Ther Adv Gastroenterol. 2021;14:17562848211017956. doi:10.1177/17562848211017956

18. Sugano K, Takeuchi T, Furuta T Vonoprazan: a novel potassiumcompetitive acid blocker for the treatment of acid-related diseases. Expert Rev Clin Pharmacol. 2020;13(9):889–897. doi:10.1 080/17512433.2020.1801700

С. Грънчаров

Втора Катедра по Вътрешни Болести, Секция Гастроентерология, МУ - Пловдив

Мястото

на TyG index

(триглицеридо-глюкозен

неинвазивната оценка на MASLD

РИСКОВИ ФАКТОРИ И ПАТОГЕНЕЗА След утвърдения през 2023 г. консенсус Delphi от Американската Асоциация за Изучаване на Чернодробни Болести (American Association for the Study of Liver Diseases - AASLD), Европейската Асоциация за Изучаване на Черния Дроб (European Association for the Study of the Liver - EASL) и Латиноамериканската Асоциация за Изучаване на Черния Дроб (Asociación Latinoamericana para el Estudio del Hígado - ALEH) е

процеси в целия организъм. Като основна причина за това се счита нарушената транслокация на GLUT4-рецепторите, както и

нарушена сигнализация в пътя на действие на

инсулина. Що се отнася до чернодробната тъ -

кан, черният дроб изпълнява критична роля в

контрола на постпрандиалната гликемия, тъй

като супресира хепаталната глюкозна про -

дукция (глюконеогенезата) и стимулира син -

теза на гликоген (гликогеносинтезата). При

пациенти с втори тип захарен диабет, инсулинът не успява да регулира адекватно тези два процеса. По същия механизъм се супресира липолизата и се натрупват висцерал -

мазнини, израз на което е и MASLD. Научното разбиране за инсулиновата резистентност е ключово за обясняване патогенезата на чернодробната стеатоза, свързана с метаболитна дисфункция[3]. Съществуват

достатъчно клинични проучвания, от които съдим, че MASLD не е единствено последствие от инсулиновата резистентност, но се разглежда също и като причина за развитие на такава, т.е. процесът е двупосочен. В подкрепа на това идват данните, че пациенти със стеатозна болест имат висок риск за поява на втори тип захарен диабет, но същевременно благоприятното повлияване на същата води до понижена заболеваемост от него. Повишеното липидно съдържание в черния дроб причинява дисфункция на хепатокиновата секреция, респективно метаболитни нарушения и ектопично акумулиране на мазнини в мастна и мускулна тъкан[4]. Нов и интересен факт относно патогенезата на MAFLD, извън вече известните нездравословни хранителни навици, генетична предиспозиция, хормонален дисбаланс, инсулинова резистентност, оксидативен стрес и др, представлява чревната дисбиоза. Чревната

мукозния слой,

до повишена епителна пропускливост и активиране на макрофагите, което от своя страна предизвиква активността на про-инфламаторни цитокини[5]. Дисбиозата, резултираща в завишена чревна пропускливост, улеснява абсорбцията на мастни киселини. От друга страна чревните бактерии имат способността да модифицират жлъчните соли, като по този начин променят глюкозния и липиден метаболизъм в черния дроб, играейки роля на модулатори в сигналните пътища. В данни от клинично проучване е направено наблюдение, че разнообразието на благоприятната чревна микрофлора е по-ниско при пациенти с MASLD спрямо общата популация[6]

TYG INDEX В ЕНДОКРИНОЛОГИЯТА Математическият модел на TyG-индекса е

за оценка на инсулиновата резистентност, а лесната калкулация, изискваща единствено две лабораторни стойности на триглицериди и глюкоза, го прави много подходящ за големи епидемиологични проучвания. Тъй

като съществуват научни данни, че последните два показателя участват в развитието

на MASLD, а основната теория в патогенезата

на същата почива на механизмите за развитие на инсулинова резистентност, то TyG-индексът може да се използва като ефективен, практичен и евтин маркер за оценка на стеатозата с висока чувствителност и специфичност, а именно 73% към 67% за откриване на MASLD[7]. TyG-индексът първоначално при -

влича вниманието на изследователите през 2008г като опростен, но надежден способ за

оценка на инсулиновата резистентност и предикция на метаболитния синдром, като се

появяват проучвания, показващи неговата супериорност спрямо заложения още от 1985г HOMA-IR (Homeostatic Model Assessment of Insulin Resistance). В голямо крос-секционно проучване на National Health and Nutrition Examination Survey (1999-2020)

по-икономичен финансово в сравнение с HOMA-IR, където сериозното оскъпяване

идва от изследване концентрациите на инсулина. Всички тези факти демонстрират по-висока чувствителност, специфичност, достъп -

ност и приложимост на TyG-индекса спрямо

HOMA-IR по отношение предиктивната стой -

ност за наличие на инсулинова резистентност и метаболитен синдром при възрастни[8], кое -

то му придава голяма тежест и мотивира уче -

ните да го изследват разнопосочно, както ще

стане въпрос при метаболитно-асоциираната стеатозна чернодробна болест (MASLD). В актуално клинична студия се обръща внимание на индекса при заболявания от различ

САЩ се установява статистически значими корелации на високите стойности за TyG

сока смъртност при американци с метаболитен синдром, което вероятно се обяснява със

сходната му патогенеза с инсулиновата резистентност[10]

TYG INDEX В ХЕПАТОЛОГИЯТА

В мащабен метаанализ, включващ 17 проучвания с над 120000 участници, проведени

между 2017 и 2022 г. в Китай, Корея, Япония, Иран, Тайван, Франция и Турция се оценя TyGindex и корелацията му с честотата на MASLD

в различни популации. Средният BMI при пациентите варира между 21 и 42,

Проследени са 758 деца и юноши между 10- и 18-годишна

в Италия, които показват висок BMI, несвързан с генетично или ендокринно заболяване. Установените данни сочат, че индексите TyG, TyG-BMI и TyG-WC демонстрират значителна асоциация с MASLD и MetS в анализираната педиатрична популация със затлъстяване[14]

ПОТЕНЦИАЛ В НЕИНВАЗИВНАТА ДИАГНОСТИКА НА MASLD В китайско кохортно проучване с над 25000 участници без MASLD в началото на проследяване се установява, че в края му 21% от пациентите са били с налична такава.

на

за преодоляването му[15]. Наблюдават се също значителна корелация между стойностите на TyG index и степените на чернодробна стеатоза (по-високите стойности съответстват на по-висока степен), което би позволило на клиницистите да идентифицират пациенти със изразено омазняване и да проследят ефекта от препоръчаните промени в начина на живот без необходимост от инвазивни процедури като чернодробна биопсия[16]

ЗАКЛЮЧЕНИЕ Метаболитно-асоциираната стеатозна чернодробна болест увеличава честотата си в световен мащаб, а негативните здравни и икономически последици от най-разпространеното хронично чернодробно заболява

(основополагаща в патогенезата на MASLD), обяснява логичното при -

ложение на показателя и за оценка от риска пациентите да развият чернодробна стеатоза, свързана с мета -

болитна дисфункция. В последните години бяха проведени немалко клинични проучвания, изследващи мястото на TyG index като потенциален

Caroli D, Marazzi N, Sartorio A. The Ability of the Triglyceride-Glucose (TyG) Index and Modified TyG Indexes to Predict the Presence of Metabolic-Associated Fatty Liver Disease and Metabolic Syndrome in a Pediatric Population with Obesity. J Clin Med. 2025 Mar 28;14(7):2341. doi: 10.3390/jcm14072341. PMID: 40217790; PMCID: PMC11989838. 15. https://pubmed.ncbi.nlm.nih. gov/40181314/ - Song Z, Miao X, Liu S, Hu M, Xie X, Sun Y, Leng S. Associations between cardiometabolic indices and the onset of metabolic dysfunctionassociated steatotic liver disease as well as its progression to liver fibrosis: a cohort study. Cardiovasc Diabetol. 2025 Apr 3;24(1):154. doi: 10.1186/s12933025-02716-6. PMID: 40181314; PMCID: PMC11969729. 16. https://pubmed.ncbi.nlm.nih. gov/40074727/ - Forouzesh P, Kheirouri S, Alizadeh M. Predicting hepatic steatosis degree in metabolic dysfunctionassociated steatotic liver disease using obesity and lipid-related indices. Sci Rep. 2025 Mar 12;15(1):8612. doi: 10.1038/ s41598-024-73132-1. PMID: 40074727; PMCID: PMC11904216. ващо

ИЗПОЛЗВАНА ЛИТЕРАТУРА:

1. https://pubmed.ncbi.nlm.nih. gov/38153279/ - Loomba R, Wong VW. Implications of the new nomenclature of steatotic liver disease and definition of metabolic dysfunction-associated steatotic liver disease. Aliment Pharmacol Ther. 2024 Jan;59(2):150-156. doi: 10.1111/ apt.17846. PMID: 38153279; PMCID: PMC10807722.

2. https://pubmed.ncbi.nlm.nih. gov/33923817/ - Sakurai Y, Kubota N, Yamauchi T, Kadowaki T. Role of Insulin Resistance in MAFLD. Int J Mol Sci. 2021 Apr 16;22(8):4156. doi: 10.3390/ ijms22084156. PMID: 33923817; PMCID: PMC8072900.

3. https://pubmed.ncbi.nlm.nih. gov/34965646/ - Lee SH, Park SY, Choi CS. Insulin Resistance: From Mechanisms to Therapeutic Strategies. Diabetes Metab J. 2022 Jan;46(1):15-37. doi: 10.4093/ dmj.2021.0280. Epub 2021 Dec 30. PMID: 34965646; PMCID: PMC8831809. 4. https://pubmed.ncbi.nlm.nih. gov/38718757/ - Bo T, Gao L, Yao Z, Shao S, Wang X, Proud CG, Zhao J. Hepatic selective insulin resistance at the intersection of insulin signaling and metabolic dysfunction-associated

steatotic liver disease. Cell Metab. 2024 May 7;36(5):947-968. doi: 10.1016/j. cmet.2024.04.006. PMID: 38718757. 5. https://pubmed.ncbi.nlm.nih. gov/38946874/ - Rochoń J, Kalinowski P, Szymanek-Majchrzak K, Grąt M. Role of gut-liver axis and glucagon-like peptide-1 receptor agonists in the treatment of metabolic dysfunction-associated fatty liver disease. World J Gastroenterol. 2024 Jun 21;30(23):2964-2980. doi: 10.3748/ wjg.v30.i23.2964. PMID: 38946874; PMCID: PMC11212696. 6. https://pubmed.ncbi.nlm.nih. gov/38649999/ - Li Y, Yang P, Ye J, Xu Q, Wu J, Wang Y. Updated mechanisms of MASLD pathogenesis. Lipids Health Dis. 2024 Apr 22;23(1):117. doi: 10.1186/ s12944-024-02108-x. PMID: 38649999; PMCID: PMC11034170. 7. https://pubmed.ncbi.nlm.nih. gov/36120429/ - Xue Y, Xu J, Li M, Gao Y. Potential screening indicators for early diagnosis of NAFLD/MAFLD and liver fibrosis: Triglyceride glucose index-related parameters. Front Endocrinol (Lausanne). 2022 Sep 2;13:951689. doi: 10.3389/ fendo.2022.951689. PMID: 36120429; PMCID: PMC9478620.

8. https://pubmed.ncbi.nlm.nih. gov/36500999/ - Wang J, Yan S, Cui Y, Chen F, Piao M, Cui W. The Diagnostic and Prognostic Value of the TriglycerideGlucose Index in Metabolic DysfunctionAssociated Fatty Liver Disease (MAFLD): A Systematic Review and Meta-Analysis. Nutrients. 2022 Nov 23;14(23):4969. doi: 10.3390/nu14234969. PMID: 36500999; PMCID: PMC9741077. 9. https://pubmed.ncbi.nlm.nih. gov/38969755/ - Wan H, Cao H, Ning P. Superiority of the triglyceride glucose index over the homeostasis model in predicting metabolic syndrome based on NHANES data analysis. Sci Rep. 2024 Jul 5;14(1):15499. doi: 10.1038/s41598024-66692-9. PMID: 38969755; PMCID: PMC11226440. 10. https://pubmed.ncbi.nlm.nih. gov/39510865/ - Sun Y, Ji H, Sun W, An X, Lian F. Triglyceride glucose (TyG) index: A promising biomarker for diagnosis and treatment of different diseases. Eur J Intern Med. 2025 Jan;131:3-14. doi: 10.1016/j.ejim.2024.08.026. Epub 2024 Oct 29. PMID: 39510865. 11. https://pubmed.ncbi.nlm.nih. gov/35566790/ - Beran A, Ayesh H,

Mhanna M, Wahood W, Ghazaleh S, Abuhelwa Z, Sayeh W, Aladamat N, Musallam R, Matar R, Malhas SE, Assaly R. Triglyceride-Glucose Index for Early Prediction of Nonalcoholic Fatty Liver Disease: A Meta-Analysis of 121,975 Individuals. J Clin Med. 2022 May 9;11(9):2666. doi: 10.3390/jcm11092666. PMID: 35566790; PMCID: PMC9102411. 12. https://pubmed.ncbi.nlm.nih. gov/36743937/ - Ling Q, Chen J, Liu X, Xu Y, Ma J, Yu P, Zheng K, Liu F, Luo J. The triglyceride and glucose index and risk of nonalcoholic fatty liver disease: A doseresponse meta-analysis. Front Endocrinol (Lausanne). 2023 Jan 19;13:1043169. doi: 10.3389/fendo.2022.1043169. PMID: 36743937; PMCID: PMC9892833. 13. https://pubmed.ncbi.nlm.nih. gov/39893457/ - Zhang Y, Wu J, Li T, Qu Y, Wang Y. Association of triglycerideglucose related indices with mortality among individuals with MASLD combined with prediabetes or diabetes. Cardiovasc Diabetol. 2025 Feb 1;24(1):52. doi: 10.1186/s12933-025-02616-9. PMID: 39893457; PMCID: PMC11786362. 14. https://pubmed.ncbi.nlm.nih. gov/40217790/ - Tamini S, Bondesan A,

Лечение и

ФАРМА ФОКУС Ниският

Ново изследвание показва, че

остават противоречиви. Някои проучвания са установили повишени нива на тестостерон при мъже с камъни в бъбреците, докато други, включително големи проучвания, базирани на популацията, са докладвали по-ниски нива.

ОТНОСНО ИЗСЛЕДВАНЕТО Изследователите са анализирали данни от 3234 мъже, участвали в рутинни здравни прегледи между 2010 и 2020 г. в университетска болница в Сеул, Южна Корея. Всички участници са били на възраст поне 20 години и са извършили кръвни изследвания, рентгенография на бъбреците, уретера и пикочния мехур (KUB) и абдоминална ултрасонография

като възраст, индекс на телесна маса (ИТМ), кръвно налягане, триглицериди, холестерол с ниска плътност (LDL), холестерол с висока плътност (HDL), креатинин (Cr), урейен азот в кръвта (BUN), хемоглобин A1c (HbA1c), пикочна киселина, високочувствителен C-реактивен протеин (hs-CRP), калций, албумин, аспартат трансаминаза (AST) и аланин трансаминаза (ALT). Изследователите са приложили логистични регресионни модели за оценка на асоциациите и са коригирани за всички съответни объркващи фактори. Кривите на ROC (Receiver Operating Characteristic) са използвани за

Kang, J.Y., Lee, J.H., Kwon, Y. et al. Int J Impot Res (2025), DOI: 10.1038/s41443-025-01081-y, https:// www.nature.com/articles/s1443-025-01081-y

Н. Рамадан, Б. Борисов, Св. Александрова Клиника по нефрология, МУ - Плевен

Ключови думи: Остро бъбречно увреждане, лечение на острото бъбречно увреждане, бъбречно-заместващо лечение (БЗЛ), време за започването на БЗЛ.

ВЪВЕДЕНИЕ

Терминът Остро Бъбречно Увреждане (ОБУ) заменя през 2002 г. остарелия и противоречив термин Остра Бъбречна Недостатъчност – ОБН[1] и е свързан с остро влошаване на бъбречната функция, най-често в резултат на извънбъбречни причини.

В момента ОБУ се определя като нарастване на серумния креатинин с 26.5 μmol/L или повече, в рамките на 48 часа. Съществуват няколко класификации, отразяващи нарастването на серумния креатинин и намалаването на диурезата

телни показания за започването на диализно лечение, като: прояви на хиперхидратация, терапевтично резистентни и тежкостепенни хиперкалиемия и/или метаболитна ацидоза, продължителна анурия, полиорганна недостатъчност и други, липсва единно становище за времето, когато трябва да се започне това бъбречно-заместително лечение (БЗЛ)[5,6,7] АНАЛИЗ НА ДАННИТЕ Проучването ELAIN е едноцентрово рандомизирано клинично проучване

на бъбречно заместващо лечение. Ранното БЗЛ показа 15% абсолютно намаление на 90-дневната смъртност (39% срещу 55%; р=0.03) и по-добро бъбречно възстановяване за 90 дни (54% срещу 39%, р=0.02). Необходим е плазмен липокалин, свързан с неутрофилна желатиназа (NGAL), над 150 ng/mL, както и едно от следните: тежък сепсис, употреба

Продължителността на БЗЛ и продължителността на болничния престой са били значително по-кратки в ранната група, отколкото в отложената група (9 дни в ранната група спрямо 25 дни в отложената група; р=0.04; болничен престой: 51 дни в ранната група спрямо 82 дни в отложената група; р<0.001), но не е имало значителен ефект върху необходимостта от БЗЛ след 90-ти, органна дисфункция и продължителност на престоя в интензивно отделение[8].

Трябва да акцентираме върху представения в проучването индекс на полиорганно увреждане – 16, което означава, че това са силно увредени пациенти с множество съпътстващи заболявания, включително преживели кардиохирургични интервенции и чернодробни трансплантации. Нивото на предшестващо хронично бъбречно заболяване (ХБЗ) в двете групи е около 40%.

Първото голямо многоцентрово, рандомизирано, контролирано проучване, е проучването AKIKI, което включва 620 тежко болни

със сепсис, получаващи механична вентилация и/или вазоактивна поддръжка в 31 центъра на Франция. Средният резултат по SOFA е 11±3. В сравнение с проучването ELAIN, не е започнато БЗЛ толкова рано; критерият е

бил започване на заместаващо бъбреците лечение в рамките на 6 часа след достигането на AKI стадий 3 по KDIGO. В късната група БЗЛ е започвано само при спешни показания. Проучването е разработено, за да се търси 15% абсолютно намаление на смъртността при критично болни пациенти, което много рядко се наблюдава в съвременната клинична практика с еднократна интервенция[9,10].

Оценките по метода на Kaplan-Meier за смъртността на 60-тия ден не се различават съществено между ранната

сред 311 пациенти в групата с ранна интервенция (48.5%),

изкривяват обективността на

данните: то се провежда при тежко болни пациенти в условията на септичен шок, което само по себе си влошава значително прогнозата по отношение на преживяемостта им. Изчакването за започване на БЗЛ до стадий 3

по KDIGO, без да се упоменават средни стой -

ности на креатинин и други витални показатели, само по себе си е късно започнато БЗЛ, което също влошава прогнозата на преживяемостта. И не на последно място, нормално като за пациенти с това основно заболяване се отчита изключително висока честота на катетър-асоциирания сепсис; той също влошава изхода при болните.

Рандомизираното, контролирано проучване Initiation of Dialysis Early Versus Delayed in the Intensive Care Unit (IDEAL-ICU) - Ранно започване на диализа спрямо забавено в отделението за интензивно лечение, проведено във Франция, в 29 центъра, включващо 477 критично болни пациенти със септичен шок и остро обусловено повръщане. Ранното БЗЛ се определя като започване в рамките на 12 часа след ОБУ стадий 3 по

KDIGO, докато забавеното се определя като отлагане на БЗЛ за поне 48 часа от дефинирането на пациента в стадий 3 по KDIGO, освен ако не са налице абсолютни индикации. Средният резултат по SOFA е 12±3. Първичната крайна точка, 90-дневната смъртност, е сравнима между ранната (58%) и късната (54%) група; при планиран междинен анализ и проучването е спряно поради безполезност. За пореден път, голям процент от

пациентите в късната група никога не са получавали БЗЛ (38%), сред които 8% са по

за периода 2008-2019 г.[12]. Индивидуални

данни за пациентите са били налични за де -

вет проучвания (с общо 2083 пациенти), от

които 1879 пациенти са имали тежко остро

бъбречно увреждане и са били разпределе -

ни на случаен принцип: 946 (50%) в групата с отложено БЗЛ 933 (50%) в групата с ранно.

Триста и деведесет (42%) от 929 пациенти, разпределени в групата с отложено БЗЛ и за

които са били налични данни, не са получи -

ли такова лечение изобщо. Делът на пациентите, починали до 28-ия ден, не се различава съществено между групата с отложено и с ранно БЗЛ (44% спрямо 43%, респективно, p=0.80).

В проучването Standard versus Accelerated Initiation of Renal-Replacement Therapy in Acute Kidney Injury (STARRT-AKI) са включени 2866 критично болни пациенти с ОБУ[13] стадий 2 или 3 по KDIGO (дефинирана като удвояване на серумния креатинин спрямо изходното ниво или серумен креатинин ≥354 µmol/L с увеличение от ≥27 µmol/L спрямо изходното ниво или отделяне на урина <6 mL/ kg през предходните 12 часа).

Средният баланс на течностите показва за първите 14 дни от проследяването +7199 mL в Северна Америка, +5641 mL в Евро -

па и +2211 mL в Австралия и Нова Зеландия (ANZ) (p<0.001). Средното време до започ -

ване на БЗЛ сред пациентите, разпределени

в стандартната стратегия, е било най-дълго в Европа в сравнение със Северна Амери -

ка и ANZ (p<0.001; p<0.001). Непрекъснатото

БЗЛ е било първоначалният метод за лече -

ние при 60.8% от пациентите в Северна Аме -

рика и 56.8% от пациентите в Европа, в сравнение с 96.4% от пациентите в ANZ (p<0.001).

След корекция за предварително дефинирани изходни характеристики, в сравнение със северноамериканските и европейските пациенти, тези в ANZ са имали по-голяма веро

(p<0.001)

Пациентите с диуреза по-малко от 200 mL за 2 часа са определени като „неотзивчиви“. В проучването FST 118 неотзивчиви

ва да се вземат предвид при вземането на решение[9,17,18]

Още през 2016 г. Dana Bielopolski и

Kamyar Kalantar-Zadeh Публикуват статия, озаглавена „Консерватизмът отвръща на удара: по-късната диализа е по-добра от по-ранната при остро бъбречно увреждане“, в която разглеждат няколко основни проучвания известни на специалистите

към онзи момент. Според авторите, не бива да се възприемат общи правила за диализното лечение на болните с ОБУ и особено при такива с множество съпътстващи заболявания и хемодинамичен нестабилитет, а всеки случай е разумно

1. Lines S, Lewington A. Acute kidney injury. Clin Med (Lond). 2009;9(3):273-277.

2. Pereira M, Rodrigues N, Godinho I, et al. Acute kidney injury in patients with severe sepsis or septic shock: a comparison between the 'Risk, Injury, Failure, Loss of kidney function, Endstage kidney disease' (RIFLE), Acute Kidney Injury Network (AKIN) and Kidney Disease: Improving Global Outcomes (KDIGO) classifications. Clin Kidney J. 2017;10(3):332-340.

3. Goyal A, Daneshpajouhnejad P, Hashmi MF, et al. Acute Kidney Injury. [Updated 2023 Nov 25]. In: StatPearls [Internet]. Treasure Island (FL): StatPearls Publishing; 2025.

4. Hoste EA, Schurgers M. Epidemiology of acute kidney injury: how big is the problem? Crit Care Med 2008;36(4 Suppl): S146–151.

5. Bouchard J, Mehta RL. Timing of Kidney

Support Therapy in Acute Kidney Injury: What Are We Waiting For? Am J Kidney Dis. 2022;79(3):417-426.

6. Clark E, Wald R, Levin A, et al. Canadian Acute Kidney Injury (CANAKI) Investigators. Timing the initiation of renal replacement therapy for acute kidney injury in Canadian intensive care units: a multicentre observational study. Can J Anaesth. 2012;59(9):861-870.

7. Gibney RT, Bagshaw SM, Kutsogiannis DJ, Johnston C. When should renal replacement therapy for acute kidney injury be initiated and discontinued? Blood Purif. 2008;26(5):473-484.

8. Zarbock A, Kellum JA, Schmidt C, et al. Effect of Early vs Delayed Initiation of Renal Replacement Therapy on Mortality in Critically Ill Patients With Acute Kidney Injury: The ELAIN Randomized Clinical Trial. JAMA. 2016;315(20):2190-2199.

9. Gaudry S, Hajage D, Schortgen F, et al.

AKIKI Study Group. Initiation Strategies for Renal-Replacement Therapy in the Intensive Care Unit. N Engl J Med. 2016;375(2):122-133.

10. Gaudry S, Hajage D, Dreyfuss D. Initiation of Renal-Replacement Therapy in the Intensive Care Unit. N Engl J Med. 2016;375(19):1901-1902.

11. Barbar SD, Clere-Jehl R, Bourredjem A, et al. IDEAL-ICU Trial Investigators and the CRICS TRIGGERSEP Network. Timing of Renal-Replacement Therapy in Patients with Acute Kidney Injury and Sepsis. N Engl J Med. 2018;379(15):1431-1442.

12. Gaudry S, Hajage D, Benichou N, et al. Delayed versus early initiation of renal replacement therapy for severe acute kidney injury: a systematic review and individual patient data meta-analysis of randomised clinical trials. Lancet. 2020;395(10235):1506-1515.

13. STARRT-AKI Investigators. STandard

versus Accelerated initiation of Renal Replacement Therapy in Acute Kidney Injury: Study Protocol for a MultiNational, Multi-Center, Randomized Controlled Trial. Can J Kidney Health Dis. 2019;6:2054358119852937

14. Vaara ST, Serpa Neto A, Bellomo R, et al. STandard vs. Accelerated initiation of Renal Replacement Therapy in Acute Kidney Injury (STARRT-AKI) Investigators. Regional Practice Variation and Outcomes in the Standard Versus Accelerated Initiation of Renal Replacement Therapy in Acute Kidney Injury (STARRT-AKI) Trial: A Post Hoc Secondary Analysis. Crit Care Explor. 2024;6(2):e1053.

15. Koyner JL, Davison DL, BrashaMitchell E, et al. Furosemide Stress Test and Biomarkers for the Prediction of AKI Severity. J Am Soc Nephrol. 2015;26(8):2023-2031.

16. Jaber S, Paugam C, Futier E, et

al. BICAR-ICU Study Group. Sodium bicarbonate therapy for patients with severe metabolic acidaemia in the intensive care unit (BICAR-ICU): a multicentre, open-label, randomised controlled, phase 3 trial. Lancet. 2018;392(10141):31-40.

17. Chen W, Caplin N, El Shamy O, et al. NYC-PD Consortium. Use of peritoneal dialysis for acute kidney injury during the COVID-19 pandemic in New York City: a multicenter observational study. Kidney Int. 2021;100(1):2-5.

18. Borisova E, Lubomirova D, Glogovska P.Lung abscess–a rare complication in hemodialysis patients with a central venous catheter. J of IMAB. 2023 JulSep;29(3):5062-5066.

19. Bielopolski D, Kalantar-Zadeh K. Conservatism strikes back: later is better than earlier dialysis for acute kidney injury. J Thorac Dis. 2016;8(9):2415-2419.

Св. Стоянова1 , Б. Борисов2 1Катедра „Сестрински хирургични грижи“, Факултет „Здравни грижи“

2Клиника по нефрология, Факултет „Медицина“, МУ - Плевен

Ключови думи: Хронично бъбречно заболяване (ХБЗ), терминална бъбречна недостатъчност (ТБН), бъбречно-заместващо лечение (БЗЛ), годишни разходи за управление на ХБЗ, здравни фондове, диализно лечение.

недостатъчност върху здравните фондове

страна/регион.

последното десетилетие се

отчита непрекъснато увели-

чаване на пациентите с хро -

нично бъбречно заболяване (ХБЗ), като причините за

това са комплексни и отразяват както нарастването на общия брой на населението, така също и на неговата средна възраст, както и свързаното с

нея увеличаване на различните съпътстващи заболявания. Въпреки повишената медицинска активност за ранното диагностициране и лечение на редица нефропатии, относителният дял на пациентите с

9.8%) от населението на света и общия брой на пациентите с ХБЗ възлиза на около 700 млн. души,през 2017 година. Асоциацията за оценката на тежестта на хроничните бъбречни заболявания върху здравната система (GBD – Chronic Kidney Disease Collaboration), отчита за периода от 1990 до 2017 г. намаляването на глобалната, стандартизирана за възрастта смъртност от сърдечно-съдови заболявания

на гломерулна филтрация - GFR (G3a–G5), обикновено са били най-слабо докладваните. Шест държави/реги -

точници за поне една от годишните разходи, определени от метода на БЗЛ за пациенти с бъбречна недостатъчност, по-специално хемодиализа, перитонеална диализа и трансплантация. Наличността на данни за усложнения, свързани с ХБЗ, е била променлива. Отчетените данни показват следните средни разходи зае лечение на пациентите (в американски долари):

1. Стадий G3a - 3060$

2. Стадий G3b - 3544$

3. Стадий G4 - 5332$

4. Стадий G5 - 8736$

5. Хемодиализно лечение - 57,334$

6. Перитонеална диализа - 49,490$

7. Трансплантация (през първата година) - 75,326$

Тези средства показват големи вариации в различните държави/региони (Фиг. 1).

Подобни вариации авторите представят и стойностите на различните видове бъбречно-заместващо лечение (Фиг. 2).

Прави впечатление, че липсват данни за България в намерените от авторите регистри, докато за други Балкански държави, като Гърция, Турция и Румъния са налични, за всички показатели.

Steven Chadban и сътр. (2024) използ -

вайки същите данни за тези 31 държави/региона, установяват, че директните разходи за лечението на пациенти с ХБЗ със/без БЗЛ ще нараснат средно с 9.3% за периода от 2022 до 2027 г.[7]

Изнесените данни от Benjamin Pockros и сътр. (2021), представят, че цената за една диализна сесия е 239 $ в САЩ, докато средната цена за една диализа на годишна база се колебае между 1560 $ в Камерун и 90 $ в Нидерландия. Разходите за здравеопазване на глава от населението ва -

рират от 24 щатски долара (Бурунди) до 10 246 щатски долара (САЩ).

силна

дадена държава и разходите ѝ за здравеопазване на

глава от населението, според авторите.

Това проучване показва, че годиш -

ните разходи за диализа на пациент в Съединените щати са с приблизително 60 000 щатски долара под прогнозираните. Като се има

предвид, че приблизително 550 000 пациенти понастоящем получават поддържаща диализа в Съединените щати, това се равнява на разлика в разходите от над 33 милиарда щатски долара, ако всички пациенти на поддържаща диализа в Съединените щати имаха покритие от Medicare за такса

-

диализа (ПД) струват толкова, колкото трикратните седмично хемодиализни (ХД) сесии. Авторите подчертават, че това изравняване е свързано с факта,

сами

ното си лечение, тъй като то не се покрива от здравната система на страната [9] .

ИЗВОДИ Изнесените данни очертават тенденциите за финансовата тежест на диализното лечение при болни с терминална бъбречна недостатъчност.

Същевременно, те представляват само директните плащания за това лечение. Предвид големия брой съпътстващи заболявания и усложнения свързани с лечението, реалната цена е вероятно доста по-висока, което е уместно също да бъде проучено.

1. GBD Chronic Kidney Disease Collaboration. Global, regional, and national burden of chronic kidney disease, 1990–2017: a systematic analysis for the Global Burden of Disease Study 2017. Lancet 2020; 395(10225): 709–733.

3. Thurlow JS, Joshi M, Yan G, et al. Global Epidemiology of End-Stage Kidney Disease and Disparities in Kidney Replacement Therapy. Am J Nephrol. 2021;52(2):98-107.

2. Acosta-Ochoa I, Bustamante-Munguira J, Mendiluce Herrero A, et al. Impact on Outcomes across KDIGO-2012. AKI Criteria According to Baseline Renal Function. J Clin Med. 2019;8(9):1323.

4. Liyanage T, Ninomiya T, Jha V, et al. Worldwide access to treatment for endstage kidney disease: a systematic review. Lancet. 2015;385(9981):1975–1982.

5. International Society of Nephrology. Global Kidney Health Atlas, 2nd Edition, 2019. https://www.theisn.org/initiatives/ global-kidney-health-atlas/. Accessed November 17, 2020.

6. Jha V, Al-Ghamdi SMG, Li G, et al. Global Economic Burden Associated with Chronic Kidney Disease: A Pragmatic Review of Medical

Costs for the Inside CKD Research Programme. Adv Ther. 2023;40(10):4405-4420.

7. Chadban, St, Arici M, Power A, et al. Projecting the economic burden of chronic kidney disease at the patient level (Inside CKD): a microsimulation modelling study. eClinicalMedicine, Volume 72, 102615.

9. Jeloka TK, Upase S, Chitikeshi S. Monthly cost of three exchanges a day peritoneal dialysis is same as of thrice a week hemodialysis in self-paying Indian patients. Indian J Nephrol. 2012;22(1):39-41.

8. Pockros BM, Finch DJ, Weiner DE. Dialysis and Total Health Care Costs in the United States and Worldwide: The Financial Impact of a Single-Payer Dominant System in the US. J Am Soc Nephrol. 2021;32(9):2137-2139.

В. Карамишева¹, Д. Колева², Б. Карамишев², А. Колев², Л. Колева³, В. Спасова⁴, М. Владимиров², Н. Христов⁵, Д. Христова⁶, М. Перусанова7

¹Втора гинекологична клиника, СБАЛАГ „Майчин дом“ - София

²Медицински факултет, МУ - София

³Клиника по оперативна гинекология, УМБАЛСП „Пирогов“

⁴Катедра по Медицинска генетика, МУ - София

⁵Клиника по нервни болести, УМБАЛСП „Пирогов“

⁶НЦЗПБ - София

7Медицински факултет, СУ - София

финира като намаляване на стойностите на

феритина или несъответствие между прие -

ма, повишените нужди от желязо и повишената загуба[6]. Периодът на юношеството е

свързан с повишени нужди поради интензивен растеж, натрупване на мускулна маса и увеличаване на общия кръвен обем.

Според данни на Световната здравна организация, приблизително 30-35% от световното население страда от ЖДА [1,6] , като честотата варира значително по региони – в Африка и Южна Азия тя достига 40-50%[6] , докато в индустриализираните държави по -

казателите са по-ниски. Юношите предста -

вляват особено уязвима група поради повишените физиологични потребности по време на пубертета[4]

Анализът на GBD 2021 показва, че през 2021 г. честотата на анемия (всички възрасти) е ~31%

при жените срещу ~18% при мъжете, като разликите са най-изразени при юноши и млади възрастни[6]. В Източна Европа съотношението по тежест (YLD) при жените спрямо мъжете

достига ~4.2, което подчертава уязвимостта на

момичетата и младите жени[6].

В европейския регион нивата на анемия в юношеска възраст са по-ниски от тези в Афри-

ка и Южна Азия, но половите различия се за-

пазват: тийнейджърките имат чувствително

по-висока честота в сравнение с момчетата[6]

Данните демонстрират устойчив женски превес, както и по-бавно намаляване на анемията

при жените във времето.

В България официални национално представителни оценки за юношеска възраст са ограничени. Според Global Nutrition Report, 23.6%

от жените 15-49 г. са с анемия, което подсказва значимостта на проблема и нуждата от целеви изследвания

до 2019-2023 г.[1]

РИСКОВИ ФАКТОРИ Основните рискови фактори за развитие на ЖДА в юношеска възраст включват[4,7]:

1. Недостатъчен прием на храни, богати на усвоимо желязо Адолесцентният период е свързан с промяна на хранителните навици. От една страна това е израз на поведенчески промени, лична неудовлетвореност и емоционални проблеми. Проявява се под формата на строги диети (вегетарианство, веганство), отказ от храна или пропускане на хранения поради подражание на модерни модели. От друга страна промяната в начина

2. Повишени загуби на желязо при менструация

менструални цикли с повишена загуба на желязо.

3. Социално-икономически фактори В много региони се наблюдава хранителна несигурност и ограничен достъп до разнообразни продукти, което естествено води до недоимък на желязо.

4. Заболявания на гастроинтестиналния тракт Цьолиакия, възпалителни чревни болести и други състояния, които редуцират абсорбцията

5. Повишени физиологични

-

Серумно желязо: 50–120 μg/dL при

деца; 65–176 μg/dL при мъже; 50–170 μg/dL при жени.

- Трансферинова сатурация: 20–50%; <16% показва дефицит.

- Обща желязосвързваща способност (TЖСК): 240–450 μg/dL; увеличена при дефицит.

- Серумен феритин: 50–140 ng/mL за деца/юноши; <30 ng/mL изчерпани

депа; <15 ng/mL сигурен дефицит.

ПРЕВЕНЦИЯ И ТЕРАПЕВТИЧНИ

ПОДХОДИ

Превенцията на

суплементация[4,8]: - Редовен скрининг чрез Hb и феритин

1. WHO. Nutritional anaemias: tools for effective prevention and control. Geneva: WHO; 2017.

2. Kassebaum NJ. The global burden of anemia. Hematol Oncol Clin North Am. 2016;30(2):247-308.

3. Mast AE, Blinder MA, Dietzen DJ. Clinical utility of laboratory tests for iron deficiency. Am J Hematol. 2018;93(5):664-72.

4. Pasricha SR, Tye-Din J, Muckenthaler MU, Swinkels DW. Iron deficiency. Lancet. 2021;397(10270):233-48.

5. WHO. Haemoglobin concentrations for the diagnosis of anaemia and assessment of severity. Geneva: WHO; 2011.

6. Stevens GA, Finucane MM, De-Regil LM, Paciorek CJ, Flaxman SR, Branca F, et al. Global trends in haemoglobin and anaemia. Lancet Glob Health. 2013;1(1):e16-25.

7. Haas JD, Brownlie T. Iron deficiency and reduced work capacity. J Nutr. 2001;131(2S-2):676S-90S.

8. Short MW, Domagalski JE. Iron deficiency anemia: evaluation and management. Am Fam Physician. 2013;87(2):98-104.

Чисто желязо в течна форма!

1Катедра по Медицинска генетика, МУ - София

2Медицински факултет, МУ - София

3Клиника по оперативна гинекология, УМБАЛСП „Пирогов“

4Клиника по обща и урогинекология, СБАЛАГ „Майчин дом“ - София

5Клиника по Вътрешни болести „Александровска

6Клиника по нервни болести , УМБАЛСП „Пирогов

становено е също, че при

пациентки с ендометри -

ални полипи и хиперпла -

зия, както и при карцином на ендометриума, фамил -

ната история често съдържа данни за сходни диагнози при майка, сестра или други близки родственици[3]. Тези наблюдения поставят под съмнение разбирането, че заболява -

нията възникват само под влияние на метаболитни и хормонални фактори. Вместо това, изглежда, че наследствената компонента

АНАМНЕЗА И ИЗЯВА НА ЕСТРОГЕНЗАВИСИМИ

последните години се

ват все повече данни, че фамилната анамнеза има ключова роля в предразположението към естроген-зависими гинекологични заболявания. Установено е, че жените с първостепенни родственици (майка, сестра) с миома на матката имат между 2.5 и 6 пъти по-висок риск да развият същата патология[2].

повишава риска с приблизително 82% (RR = 1.82; 95% CI: 1.651.98)[5]. Значително повишен риск се наблюдава и при фамилна анамнеза за колоректален карцином, особено в контекста на Lynch синдром, където честотата на ендометриален карцином достига 40-60%[6]. Подобни данни се отнасят и за Cowden синдром, при който ендометриалният риск

асоциация

за скрининг и ранна ди

Фамилната анамнеза е мощен прогностичен фактор, който в някои случаи надвишава тра -

диционните хормонални или метаболитни рискове. Генетичният скрининг при ранни и тежки случаи може да промени подхода към профилактика и мониторинг[1,9]

ЦЕЛ НА ПРОУЧВАНЕТО

Настоящото изследване е насочено към

оценка на връзката между фамилната анамнеза за естроген-зависими заболявания и изявата на тези заболявания при пациентки с

ендометриални полипи и други свързани естроген-зависими състояния (миома на матката, ендометриална хиперплазия и ендометриален карцином).

МАТЕРИАЛИ И МЕТОДИ Дизайн на проучването: Проведено е проспективно

под 18

наличие на тежки придружаващи за-

които биха повлияли на резултата, прием на антихистаминови препарати по-малко от 24 часа преди взимане на проба, прием на витамин В7 по-малко от 8 часа преди изследването,

Събиране на данни: За всяка участничка е снет подробен анамнезен и клиничен статус.

Специален акцент е поставен върху фамилната анамнеза – събира се информация за наличието при родственици по първа линия (майка, сестри) на естроген-зависими заболявания: миома на матката, ендометриални полипи, ендометриален карцином, както и други свързани състояния. Регистрирана е също репродуктивната анамнеза на пациентките: брой бременности, раждания, аборти, възраст на менархе и менопауза, продължителност на менструалния цикъл, приложена хормонална терапия и др. Клиничният преглед включва

ген-зависими заболявания се установи зависимостта на фамилната анамнеза при пациентките с естроген-зависима патология и при контролите. Относителният риск (OR, съотношение на шансовете) е изчислен за всяка категория фамилна анам -

неза (пациентки спрямо контроли).

Всички разлики са статистически значими (p<0.05), с изключение на фа -

милната анамнеза за ендометриален

полип, където тенденцията е поло -

жителна, но при този размер на извадката достига гранична значимост (p≈0.05).

Получените данни са представени в графичен (Фиг. 1, 2 и 3) и табличен вид (Табл. 1).

ДИСКУСИЯ

Настоящото проучване потвърждава

влиянието на наследствените факто -

ри върху развитието на естроген-за -

висимите заболявания на матката, като същевременно потвържда -

ва значимостта на метаболитните и

хормонални фактори за тези състоя -

ния. Получените резултати ясно по -

казват, че жените с ендометриални полипи, миома или ендометриа -

лен карцином значително по-често имат фамилна обремененост със

същите или сходни заболявания, в сравнение със здрави контроли.

Предполага се наличието на наслед-

ствена предиспозиция – вероятно

генетични вариации, които увеличават склонността към естроген-за -

висима хиперплазия и туморогенеза.

Известно е, че генетични мутации в

гени, свързани с хормоналната регулация и клетъчния растеж (например

в гена MED12 при миомите), могат да

допринесат за възникването на тези лезии[4]. Нашите данни за фамилна -

фамилна зависимост в нашето проучване се наблюдава при миомата на матката – находка, която съвпада с утвърдените в литературата данни за високата наследяемост на миомите[2] Дискутирайки получените данни, следва да се разгледат и клиничните им приложения. Резултатите предполагат, че в клиничната практика лекарите трябва да бъдат особено бдителни при жени с рисков профил: наличие на метаболитен синдром (инсулинова резистентност, тип 2 диабет, затлъстяване, хипертония) и/или положителна фамилна анамнеза за естроген-зависими заболявания. Такива пациентки биха могли да се разглеждат като високорискови по отношение на скрита гинекологична патология.

Нашите резултати потвърждават мнението, изявено в наличната литература, че естроген-зависимите доброкачествени състояния като полипи и миоми могат да служат като "маркер" за подлежащ хормонален и метаболитен дисбаланс при жената[1,9]. Допълнително наследственият фактор се явява като трети компонент в тази ос.

мите изменения. Казано накратко, естроген-зависимите гинекологични заболявания имат мултифакторна етиология, включваща взаимодействие между генетични фактори (наследственост) и придобити фактори (хормонален дисбаланс вследствие на метаболитни нарушения). Настоящото проучване е финансирано от Фонд "Научни изследвания", Министерство

ДФНИ9/17.12.2024.

1. Bulun, Serdar E. “Uterine Fibroids.” New England Journal of Medicine, vol. 369, no. 14, 2013, pp. 1344–1355.

2. Ciavattini, Andrea, et al. “Uterine Fibroids: Pathogenesis and Interactions with Endometrium and Endometrial Cancer.” International Journal of Molecular Sciences, vol. 14, no. 10, 2013, pp. 21636–21659.

4. Mehine, Mari, et al. “Integrated Data Analysis Reveals MED12 Mutations in Uterine Leiomyomas Are Associated with Distinct Clinical Subtypes.” Nature Communications, vol. 7, 2016. doi:10.1038/ncomms10332.

3. Lu, Karen H., et al. “Gynecologic Cancer as a 'Sentinel Cancer' for Women with Hereditary Nonpolyposis Colorectal Cancer Syndrome.” Obstetrics & Gynecology, vol. 105, no. 3, 2005, pp. 569–574.

5. O’Mara, Tracy A., et al. “Identification of Nine New Susceptibility Loci for Endometrial Cancer.” Nature Communications, vol. 9, no. 1, 2018, p. 3166.

6. Savelli, Luca, et al. “Histopathologic Features and Risk Factors for Endometrial Polyps.” American Journal of Obstetrics and Gynecology, vol. 203, no. 3, 2010, pp. 232.e1–232.e6

7. Setiawan, Veronica W., et al. “Family History of Cancer and Risk of Endometrial Cancer.” British Journal of Cancer, vol. 93, no. 5, 2005, pp. 493–498

8. Tan, Mengling, et al. “Cowden Syndrome: Clinical and Molecular Insights.” Clinical Genetics, vol. 83, no. 5, 2013, pp. 405–414.

9. Tsikouras, Panagiotis, et al. “EstrogenDependent Diseases and the Role of Estrogens in the Female Genital System.” Gynecology and Obstetrics Research, vol. 2, no. 1, 2021, pp. 10–17. 10. Zimmermann, Annekathrin, et al. “Prevalence, Symptoms and Management of Uterine Fibroids: An International Internet-Based Survey of 21,746 Women.” BMC Women’s Health, vol. 12, no. 6, 2012. doi:10.1186/1472-6874-12-6.

H P V alt ersistence irus

1Катедра по Медицинска генетика, МУ - София

2Медицински факултет, МУ - София

3Клиника по оперативна гинекология, УМБАЛСП „Пирогов“

4Клиника по обща и урогинекология, СБАЛАГ „Майчин дом“ - София

5Клиника по Вътрешни болести „Александровска болница“ - София

6Клиника по нервни болести, УМБАЛСП „Пирогов

рецептори

„endometriosis“, „endometrial cancer“.

ESR1 rs2234693 (T>C) CC (vs TT, всички жени)

ESR1 rs2234693 (T>C) TC (vs TT, предменопауза)

ESR1 rs2234693 (T>C) CC (vs TT, предменопауза)

ESR2 rs4986938 (G>A) алел A (vs G)

OR=0.70 (0.52–0.93); по-нисък риск [6]

OR=0.76 (0.59–0.98); по-нисък риск [6]

OR=0.64 (0.43–0.95); по-нисък риск [6]

OR=4.08 (2.89–5.76); значително повишен риск [2]

Полиморфизъм Асоциация при ендометриоза Източник

ESR1 rs2234693 (PvuII) Фаза I–III (рецесивен модел): OR=1.53 (1.05–2.21) [9]

ESR1 rs9340799 (XbaI) Няма значима асоциация [9]

ESR2 rs4986938 (AluI) Асоциира в кавказка популация (без конкретни OR) [9]

рецептори[3]. Множество асоциациативни проучвания са насочени към полиморфизма rs2234693 (ESR1).

Например едно голямо тайванско кохортно проучване (3588 жени) показва, че сравнено с носителите на TT генотип, жените с CC генотип на rs2234693 имат значително по-нисък риск от фиброми (OR=0.70, 95% CI 0.52–0.93)[6]

При предменопаузални жени резултатите са

още по-значими: генотипите TC и CC са протективни (TC: OR=0.76, 95% CI 0.59–0.98; CC: OR=0.64, 95% CI 0.43–0.95)[6]. Това означава, че

носителството на Cалел е свързано с приблизително 30–36% по-нисък риск за миома[6]

Паралелно, полиморфизмът rs4986938 в ESR2 (+1730 G>A) също е тестван. Индийско казус-контрол проучване установява много сил -

на асоциация: A алелът е детектиран в 59% от случаите срещу 26% при контроли, с OR≈4.08 (95% CI 2.89–5.76) за риска от фиброми[2]. Тоест, A алелът на rs4986938 маркира значително по-висок риск от маточни

открива статистически значима обща връзка между rs2234693 или rs9340799 и риска от ендометриоза[9]. Въпреки това при стратификация по стадий на болестта C алелът на rs2234693 под рецесивен модел е свързан с повишен риск за стадий I–III (OR=1.53, 95% CI 1.05–2.21)[9] , докато rs9340799 не показа значим ефект.

Наскоро ван дер Ваарт и Мерки-Фелд (2022) обобщават, че rs2234693 има асоциация при кавказки и азиатски популации, докато rs9340799 – само при азиатки[7]. Полиморфизмът rs4986938 е свързан с ендометриоза главно в кавказката популация[7]. Това подчертава важността на етническата различност при генетичните асоциации.

ЕНДОМЕТРИАЛЕН КАРЦИНОМ Ендометриалният карцином тип I е силно естроген-зависим тумор. Ashton et al. (2009, Австралия) установяват, че SNP rs2234693 и rs9340799 (ESR1) и rs1255998, rs944050 (ESR2) са свързани със значително повишен риск от ендометриален карцином[1]. McElroy et al. (2019, САЩ) откриват увеличен риск при носителки на rs2234693 (ESR1) и rs944050 (ESR2), докато rs9340799 не показва асоциация[5] Мета-анализ на Wang et al. (2012) установя

rs9340799

ESR2 rs944050

ESR2 rs1255998

случая) свърза T алела на rs2234693

с по-нисък риск[3] , докато много по-малки проучвания откриват обратен ефект. Подобно несъответствие е регистрирано и при ендометриалния карцином за rs9340799: според Wang et al. няма общ

ефект [8] , но някои наблюдателни проучвания (Ashton) го откриват [1] .

Прилагането на тези открития в персонализирана медицина е обещаващо, но предизвикателно. Вече има предложения да се включат SNPs в ESR1/ESR2 в скрининг алгоритми за

оценка на риска. McElroy и съавтори подчертават, че „улесняването на познаването

ния върху риска от ендометриален карцином може да допринесе за персонализирани подходи”[5]

ЗАКЛЮЧЕНИЕ Полиморфизмите в гените ESR1 и ESR2 са потенциални фактори за предразположеност към миома, ендометриоза и ендометриален карцином, но литературните данни са смесени и често зависят от етническия контекст. Например rs2234693 (PvuII) на ESR1 показва различни ефекти

1. Ashton K.A., Proietto A., Otton G., Symonds I., McEvoy M., Attia J., Gilbert M., Hamann U., Scott R.J. Estrogen receptor polymorphisms and the risk of endometrial cancer. BJOG. 2009;116(8):1053–1061. doi:10.1111/ j.1471-0528.2009.02185.x.

2. Bharathi C., Padmavathi P., Kumar S.S., Satish Kumar V., Govindaraj P., Lakshmi S.T. Impact of Genetic Variants in Estrogen Receptor-β Gene in the Etiology of Uterine Leiomyomas. J Reprod Infertil. 2019;20(3):151–160. 3. Borahay M.A., Al-Hendy A., Kilic G.S., et al. Estrogen receptors and signaling in uterine fibroids: role in pathobiology and therapeutic implications. Reprod Sci. 2016;24(9):1235–1244. doi:10.1177/1933719116678686.

4. Chen P., Li B., Ou-Yang L. Role of estrogen receptors in health and disease. Front Endocrinol (Lausanne). 2022;13:839005. doi:10.3389/fendo.2022.839005.

5. McElroy J.A., Kruse R.L., Robertson J.D., Yampara-Iquise H., Bryda E.C., Taylor J.F., et al. Candidate Genetic Polymorphisms and Haplotypes Associated with Endometrial Cancer Risk (United States). Int J Cancer Clin Res. 2019;6:129. doi:10.23937/23783419/1410129.

6. Tyan Y.-S., Shen C.-Y., Tantoh D.M., Hsu S.-Y., Liaw Y.-P. Association between ESR1 rs2234693 single nucleotide polymorphism

and uterine fibroids in Taiwanese premenopausal and postmenopausal women. J Health Popul Nutr. 2023;42:21. doi:10.1186/s41043-023-00357-7. 7. van der Vaart J.-F., Merki-Feld G.S. Sex hormone-related polymorphisms in endometriosis and migraine: a narrative review. Womens Health (Lond). 2022;18:17455057221111315. doi:10.1177/17455057221111315.

8. Wang Y., Cui M., Zheng L. Genetic polymorphisms in the estrogen receptor-α gene and the risk of endometrial cancer: a meta-analysis. Acta Obstet Gynecol Scand. 2012;91(8):911–916. doi:10.1111/j.16000412.2012.01393.x. 9. Zhao L., Gu C., Huang K., Fan W., Li L., Ye M., Han W., Meng Y. Association between oestrogen receptor alpha (ESR1) gene polymorphisms and endometriosis: a metaanalysis of 24 case-control studies. Reprod Biomed Online. 2016;33(3):335–349.

Turn static files into dynamic content formats.

Create a flipbook
Issuu converts static files into: digital portfolios, online yearbooks, online catalogs, digital photo albums and more. Sign up and create your flipbook.