Medical Magazine 10 2025

Page 1


СЪДОВА ХИРУРГИЯ

ЕНДОКРИНОЛОГИЯ

ГАСТРОЕНТЕРОЛОГИЯ

www.medmag bg

Редакционна

СЪДЪРЖАНИЕ

08 ОСТЪР МИОКАРДИТ Н. Гочева

ВЛИЯНИЕ

ЕНДОКРИНОЛОГИЯ

44 ЕНДОКРИННО ЗАСЯГАНЕ ПРИ СИСТЕМНА АМИЛОИДОЗА И. Калинкова, М. Калинкова

46 ЕНДОКРИННИ МЕХАНИЗМИ И ТЕРАПЕВТИЧНИ МИШЕНИ ПРИ ЗАТЛЪСТЯВАНЕ: ОТ ПАТОФИЗИОЛОГИЯ ДО ПЕРСОНАЛИЗИРАНА МЕДИЦИНА М. Калинкова

52 МЕТАБОЛИТЕН СИНДРОМ: СЪВРЕМЕННИ КОНЦЕПЦИИ И ЕНДОКРИННИ ПОДХОДИ КЪМ ДИАГНОСТИКА

М. Калинкова ГАСТРОЕНТЕРОЛОГИЯ

58 CИНДРОМ НА ДРАЗНИМОТО/ РАЗДРАЗНЕНОТО

СИМПТОМИ И ЛЕЧЕНИЕ

Изследователите от проучването

провеждат ретроспективен анализ след 241 деца с разстройство от ау-

тистичния спектър (РАС), за да иден -

тифицират хранителни дефицити в

тази кохорта. Резултатите разкриват

значителен дефицит на витамин D (36.5% от 222-те тествани участници)

и желязо (37.7% от 236-те тествани участници), като желязодефицитна анемия се наблюдава при 15.6% от 122-те деца според данните от пълната

Анализът на рисковите фактори разкрива, че възрастта и

на риска от дефицит на витамин D. Наблюдава се, че вероятността

Lipofer™

Остър миокардит

тумори. Подозрението, че

Острият миокардит по оп -

ределение е внезапно, фулминантно възникнало възпаление (по-мал -

ко от 1 месец от началото на оплакванията до диагнозата)

на миокарда в резултат от контакт с

инфекциозни агенти, системни заболявания, промени в активацията на имунната система, токсични субстанции, лекарствени средства. Фулминантният миокардит се определя като тежко бързо развиваща се фор -

ма на остър миокардит, асоцииран с кардиогенен шок, изискващ прилагане на инотропни средства или механична циркулаторна подкрепа. Подострата форма

International Classification of Diseases (ICD) при изписване на пациентите за времето между 1990 – 2013 г. Приблизително две трети от болните, диагностицирани с остър миокардит, са мъже в средна възраст 33 години, а средната възраст на жените е средно 46 години. Счита се, че е една от основните причини за възникване на внезапна сърдечна смърт при млади хора (6-10% по аутопсионни данни) и се среща при 9-10% от пациентите с неисхемична кардиомиопатия. Средно честотата на смъртността, свърза

ран с паразитни инфекции, с хиперсензитивни реакции, с еозинофилни възпалителни нарушения и по-рядко с неопластичен процес; гигантскоклетъчен миокардит – в повече

си и в частност парвовирус В19), а също

и лимфотропни вируси (херпес вирус, вирус на Епщайн Бар, цитомегаловирус) могат да се отдиференцират като причинители на остър миокардит. Вирусите действат чрез активация на имунната система и евентуално чрез проява на цитотоксична буря, това са най-често вирусите, свързани с

С, вирусите за грип А и В, също и SARS-CoV-1 и 2. Синдромът на цитокиново освобождаване (CRS) се

дефинира като въз -

палителен отговор, който води до освобождаване на голямо количество цитокини в отговор на

инфекциозен агент или медикация. Тежката проява на този синдром се характеризира с хипоксия и поява на левокамерна дисфункция. Наблюдава се и бързо развитие на хемодинамична нестабилност с хипотония и ритъмни нарушения. В литература -

с прояви на автоимунна реак-

ция. Специален ме -

ханизъм на действие проявяват вирусите SARS-CoV-1 и 2, кои -

то причиняват ди -

ректно увреждане на кардиомиоцитите чрез въздействие

върху ангиотензин-II

рецепторите. Енте -

ровирусите от своя страна се свързват със специфични кардиомиоцитни

на медикаменти – бета-лактамни антибиотици, карбамезипин, клозапин и други. По принцип острият миокардит в тези случаи може да протече като хиперчувствителна реакция и еозинофилен миокардит (Фиг. 2).

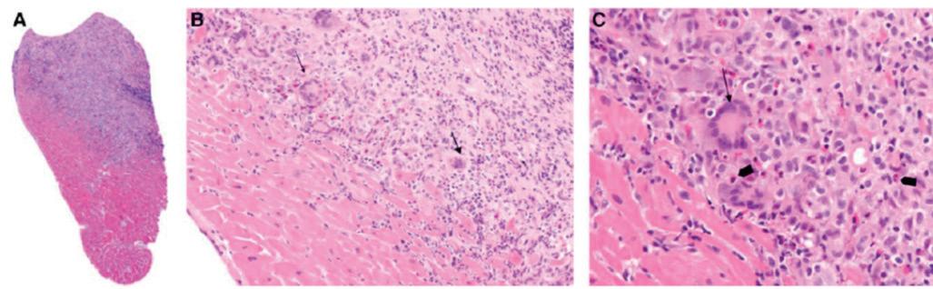
Гигантоклетъчният остър миокардит, проявен като тежка деструкция на миокарда, патохистобиологично се изявява чрез медиация на го -

лям брой цитотоксични Т-клетки, макрофаги, гигантски клетки и еозинофили. Приема се, че

основната причина за развитие на този вариант миокардит се свързва с имунни/алергич-

С развитието на молекулните техно -

логии вече се откриват нови вирусни

агенти, за които се допуска, че могат

агресивно да причинят развитие на

остър миокардит, например PVВ19

или HHV61. PVВ19 е вирус, който

може да причинява вирус-медииран

и вирус-индуциран миокардит. При

деца този вирус е причина за развитие на системна инфекция, асоции -

рана с остър миокардит и може да

бъде открит в плазмата и миокарда.

Клиничната картина на острия мио -

кардит се характеризира с полимор -

фни признаци и неспецифични симп -

томи от леки грипоподобни прояви

до остра декомпенсирана сърдеч -

на недостатъчност или кардиогенен

шок. Приблизително 82-95% от въз -

растните пациенти се представят с

гръдна болка, 19-49% - с диспнея, 5-7% - със синкоп.

Според регистъра HERMES-HF 60%

от пациентите имат симптоми, свързани с инфекция на респираторната система (90% - повишена температура, 50% - болки в гърлото, 44% - кашлица), 15% имат гастроинтестинална симптоматика (100% - диария, 56% - коремни болки, 30% - повръщане). Пациентите, които се оплак-

ват от гръдни болки в съчетание с гастроинтестинални прояви от 1 до

4 седмица от началото на симпто -

матиката, имат голяма вероятност за развитие на миокардит. Гръдната

болка може да се представи с класическите характеристики на типична

ангина, което налага диференциална диагноза с коронарна болест.

Болката може да се охарактеризира

остра, продължителна, засил -

фактор и формирането

цикатрикс, водещ до формиране на дилатативна кардиомиопатия. Пациенти с по-тежък клас по Ню-Йоркската класификация и синкопални прояви имат по-лош изход. Острата клинично проявена картина включва бързо развиваща се сърдечна декомпенсация, тежко потисната левокамерна функция с ФИ <30% (26% от пациентите), хемодинамична и електрическа нестабилност (камерна тахикардия, предсърдно мъждене, проводни нарушения), кардиогенен шок и дори внезапна сърдечна смърт. Клиничната картина на фулминантния миокардит се определя от тежестта на острото развитие на левокамерна систолна дисфункция, изискваща приложение на инотропни средства или механично циркулаторно подпомагане. Фулминантният миокардит има по-високи честоти на смъртност и често завършва с необходимост от сърдечна трансплантация. Пациентите, които се нуждаят от трансплантация, обичайно са по-млади (под 45-годишна възраст) и със съпътстващи морбидности.

Диагностиката на острия миокардит невинаги е лесна. Използването на биохимични маркери позволява по-бърза начална ориентация. При пациентите с остър миокардит съществува слаба корелация между степента на тропониново освобождаване и тежестта на сърдечна дисфункция или наличието на късно гадолиниево натрупване. С-реактивният протеин е в повишени стойности при 80-95% от случаите. Персистиращата ускорена

на миокардит. Функционалните изследвания при пациенти,

дисфункция,

задебелени стени, сегментни нарушения на съкратимостта (специално в зоната на долната или долнолатералната стена), абнормна диастолна функция. Патологичните отклонения в стойностите на левокамерната ФИ% са най-силния предиктор за последващия изход от заболяването. Промени в тъканния Доплер и поява на патологична миокардна ехогенност могат да бъдат белези за остър миокардит.

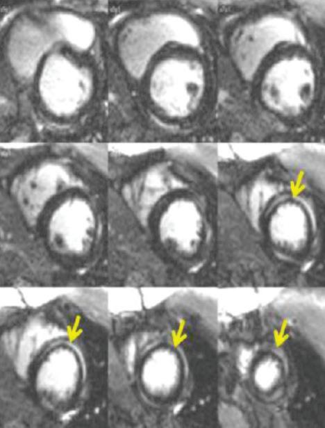
ЯМР е отличен и най-ефикасен неинвазивен диагностичен метод за оценка на тъканната характеристика на миокарда – окачествяване на възпалението, разпространението на миокардна фиброза, което позволява диференциране между активен миокардит срещу възпалителен миокардит. Проблемът е, че

след 4-тата седмица, тъй като интерстициалният оток отзвучава след този период, което рязко намалява възможностите на метода. Възприети са три основни критерия за миокардно възпаление: 1. Сигнал за хиперемия, отразен в ранно гадолиниум натрупване (LGE); 2. Тъканен оток – увеличено миокардно Т2 релаксационно време или увеличен сигнален интензитет в Т2 образите; 3. Наличие на фиброза. Приема се, че ако 2 от тези критерии са

положителни, диагнозата остър миокардит е налице със 74% сензитивност и 86% - специфичност. Наличието на LGE се асоциира с повече от два пъти увеличение на риска за големи сърдечни усложнения – комбинация от смърт, хоспитализации за сърдечна недостатъчност и рецидивиращи камерни аритмии (Фиг. 3).

Септалното и наблюдаваното в средните миокардни сегменти LGE, както и дифузното му разпределение, носят информация за по-тежко протичане на острия миокардит и са най-силния предиктор за по-лош изход. Разпространението на LGE (над 10%) се асоциира със 79% повишен риск за големи сърдечни усложнения (Фиг. 4).

на остър миокардит. Допълнително, откриването на повишено Т2 релаксационно време

предполага по-високо миокардно водно съ-

държание и по-голяма вероятност за послед-

ващо подобряване на сърдечната функция.

ЯМР е изключително полезно изследване при

проследяване на пациентите с остър миокардит и най-често се прилага на 6-ти до 12 месец

след индексното събитие. За неблагоприятна бъдеща прогноза се счита персистиране на

LGE и изчезване на отока.

Принципно 18F-fluorodeoxyglucose PET скен (FDG-PET) не се препоръчва за пациенти с

остър миокардит, освен в случаите когато пациентите не могат да осъществят ЯМР (сърдечна аритмия, артефакти, свързани с имплантиран ICD). Същевременно, FDG-PET се счита за златен стандарт в диагностицира -

нето на саркоидоза в 100% от случаите, след-

ван от лимфоцитния миокардит (96%). Ползата от изследването с FDG-PET се проявява при

пациентите, при които се налага мониториране на имуносупресивното лечение и момента

на неговото прекратяване.

Комбинацията от клиничната картина, високо-сензитивни тропонини и ЯМР в момента се счита за водеща в диагностичната точност

на острия миокардит.

Ендомиокардната биопсия (ЕМБ) оста -

ва фундаментален метод за диагностициране на специфични форми на миокардит.

Това са например пациенти, представящи

се с остра тежка сърдечна недостатъчност

или кардиогенен шок, с камерни аритмии или високостепенен A-V блок (фулминантен вариант); наличие

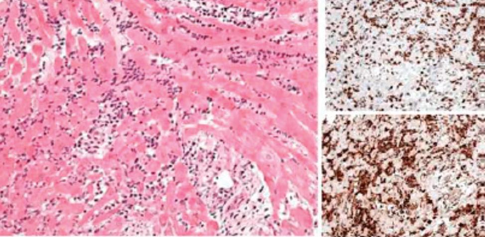
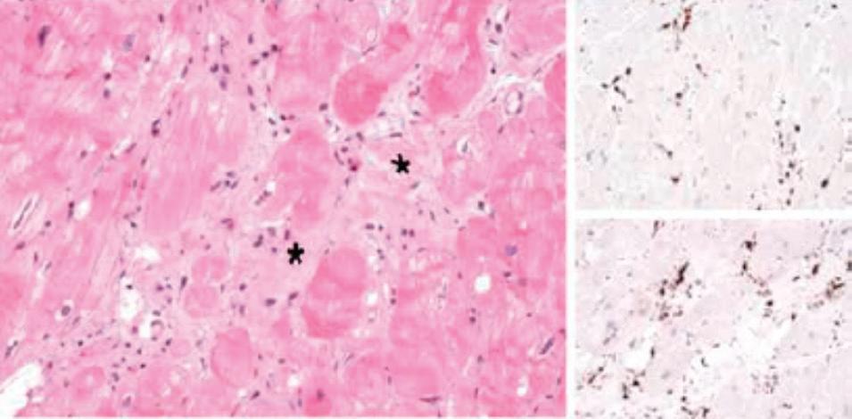
антитела за левкоцитите (CD45), макрофаги тип CD68, Т-клетки тип CD3 и техния основен субтип - CD4 и цитотоксични клетки - CD8 и В клетки (CD19/ CD20), Фиг. 5 За диагностика и лечение на

дит се препоръчва консултация от мултидисциплинарен екип – кардиолози, инфекционисти,

кортикостероидна терапия. За ле -

чение на еозинофилен миокардит и

на т.нар. DRESS синдром миокардит

има препоръка кортикостероидната терапия да се допълни с tofacitinib

или mepolizumab (анти-IL-5 рекомби -

нантно хуманизирано моноклонално антитяло). Има данни, че 6-месечно лечение с имуносупресивна терапия може да доведе до значимо подобрение на симптомите на

СН. Независимо от това, все още не

е ясно кои специфични имунни клет-

ки трябва да са прицел на тази тера -

пия с оглед подобряване на изхода.

Също така все още няма данни, които да сочат, че имуносупресорите са достатъчно ефективни при пациенти с лимфоцитен миокардит. С други думи, резултатите от това лечение са противоречиви и решението за

провеждането му трябва да има сериозни основания.

средства

миокардит поради тяхната неефективност и потенциалната възможност за екзацербация на процесите, установена върху животински модели. Тази група медикаменти е особено непрепоръчителна при пациенти с прояви на СН, поради потенциален риск за влошаване на клиниката.

Пациенти със значимо хемодинамично компрометиране/фулминантен миокардит

1. Lasica R. et al. Update on myocarditis: from etiology and clinical picture to modern diagnostics and methods of treatment. Diagnostics, 2023, 13 : 3073.

2. Lampej, 16, 2017o T et al. Acute myiocarditis aetiology, diagnosis and management. Clinical Medicine, 2021, 21.5 : e505-510

3. Mahrhold H. Prognosis in myocarditis. JACC, 70, 16, 2017 : 1988-1990.

4. Ammirati E. et al. Update on acute myocarditis. Trends in cardiovascular medicine. 2020, 12 :2.

5. Hashmani S. et al. Red flags in acute myocarditis. Diagnosis, 2023, 10:e02.

Катедра Спешна медицина, Медицински факултет към Медицински университет – София

ВЪВЕДЕНИЕ

ОСА и ПМ често се срещат заедно и

тяхната съвместна поява представлява значимо клинично предизвикателство. ОСА предизвиква циклични епизоди на интермитентна хипоксия, големи промени в интраторакалното налягане и високо ниво на автономни флуктуации, които водят до възпаление и оксидативен стрес. Чрез тези механизми се създава субстрат за атриална ремоделация - фиброза, дилатация, промяна в проводимостта и намален левопредсърден

в intention-to-treat анализите[5]. Механистичните данни - включително образна оценка на предсърдията и инвазивно картографиране - предоставят убедителен биологичен контекст за наблюдаваните клинични ефекти и подкрепят тезата, че CPAP може да

и продължаване на ПМ[9], Фиг. 1. НАУЧНИ ДАННИ ПО

ния[3]. Данните от регистри като ORBIT-AF по -

казват, че лечение на ОСА с CPAP е свързано

с по-малка прогресия към перманентен ПМ

и с по-добра обща прогноза в реална кли -

нична практика[11]. Понастоящем най-добри -

те налични мета-аналитични синтези - включително обобщения на кохорти и няколко по-малки RCT - показват, че CPAP употребата е асоциирана с намаляване на рецидивите с обобщени ефектни мерки в диапазон приблизително от 0.35 до 0.70 в различни анализи, но тези резултати носят значителна хетерогенност, която отразява различия в дизайна и в дефинициите за придържаност[12-16]

Рандомизираните проучвания са все още оскъдни. Например Traaen и съавт. проведоха рандомизирано контролирано изследване, при което в анализа, включващ всички участници според първоначалното разпределение - независимо дали и колко са използвали апарата - не бе установено статистически значимо намаление на бремето на предсърдното мъждене[5]. Когато обаче се разгледаха само пациентите, които действително са из -

ползвали CPAP адекватно и последователно, се появиха ясни сигнали за полза. Тази разлика подсказва, че липсата на ефект в основ -

дозо-отговорна връзка между време на използване и намаление на риска[3,12]

Механистичните изследвания допълват картината чрез демонстриране на обратими промени в структурата и електрофизиологичните характеристики на лявото предсърдие при пациенти с добра CPAP-придържаност. SLEEPAF invasive mapping study показва по-високи

волтажи и по-малко low-voltage области при

пациенти на CPAP, което е съвместимо с обратна ремоделация на субстрата и биологично обяснява намалената аритмогенност[9] Рандомизирани стъктурни изследвания при

пациенти с метаболитен синдром демонстрират също подобрения в левопредсърдните параметрите и диастолната функция след терапия с CPAP, което отново подсказва механистична връзка към клиничните изходи[17,18]. Кратък преглед е даден в Табл. 1.

ПРАКТИЧЕСКИ

Itaya

Holmqvist 2015 (ORBITAF) [11]

Naruse 2013 [10]

общо n=153; ОСА n=116; CPAP данни n=82

Nalliah

Traaen

след RFA % нощи ≥4 ч.

(CPAP n=12;

та (electrophysiologic endpoints)

в тези сценарии при адекватна тера -

пия[3,10,19]. Важно е да се интегрират простички мерки за повишаване на придържаността - правилен подбор на маска, ранно обучение, лесен достъп до техническа поддръжка и, когато е възможно, телемониторинг с обратна връзка, тъй като те системно подобряват използването и могат да трансформират потенциална полза в реален клиничен ефект[20-22]

ОГРАНИЧЕНИЯ И БЪДЕЩИ ИЗСЛЕДОВАТЕЛСКИ ПРИОРИТЕТИ Наличните данни имат няколко важни слабости, които затрудняват извеждането на категорични заключения. Повечето позитивни сигнали идват от неконтролирани или ретроспективни проучвания, при които разликите в съпътстващите заболявания, в при-

ложеното лечение и в мотивацията на пациентите могат да повлияят на резултатите — тоест възможно е част от наблюдаваната

се

на такива объркващи фактори, а не само на CPAP. Рандомизираните контролирани

ИЗПОЛЗВАНА ЛИТЕРАТУРА:

1. May AM, Van Wagoner DR, Mehra R. Obstructive sleep apnea and cardiac arrhythmogenesis: mechanistic insights. Chest. 2017;151(1):225-241. doi:10.1016/j. chest.2016.09.014

2. Kanagala R, Murali NS, Friedman PA, et al. Obstructive sleep apnea and the recurrence of atrial fibrillation. Circulation. 2003;107(20):2589-2594. doi:10.1161/01. CIR.0000068337.25994.21

3. Gami AS, Pressman G, Caples SM, et al. Association of atrial fibrillation and obstructive sleep apnea. Circulation. 2004;110(4):364-367. doi:10.1161/01. CIR.0000136587.68725.8E

4. Linz D, McEvoy RD, Cowie MR, et al. Associations of obstructive sleep apnea with atrial fibrillation and CPAP treatment: review and clinical implications. JAMA Cardiol. 2018;3(6):532-540. doi:10.1001/ jamacardio.2018.0095

5. Traaen GM, Aakerøy L, Hunt TE, et al. Effect of Continuous Positive Airway Pressure on Arrhythmia in Atrial Fibrillation and Sleep Apnea: A Randomized

6. Fein AS, Shvilkin A, Shah D, et al. Treatment of obstructive sleep apnea

- различни дефиниции за „придържаност“ (напр. средни часове нощем или процент нощи ≥4 ч.), различни периоди на проследяване и вариращи методи за диагностика на ОСА. Тези несъответствия ограничават възможността за общи синтези и за извеждане на конкретни прагoве и препоръки.

За да се преодолеят тези ограничения, са необходими добре планирани, достатъчно големи рандомизирани контролирани проучвания, които вграждат активни стратегии за подобряване на придържаността - обучение, поведенческа подкрепа и телемониторинг с обратна връзка - и които проследяват обективно употребата чрез устройството (напр. средни часове/нощ; процент нощи ≥4 ч.). Важно е и стандартизиране на крайните точки: ясни дефиниции за „рецидив на предсърдно мъждене“, „AF burden“ и еднородни времена за проследяване.

reduces the risk of atrial fibrillation recurrence after catheter ablation. J Am Coll Cardiol. 2013;62(4):300-305. doi:10.1016/j.jacc.2013.03.052

7. Qureshi WT, Nasir UB, Alqalyoobi S, et al. Meta-analysis of continuous positive airway pressure as a therapy of atrial fibrillation in obstructive sleep apnea. Am J Cardiol. 2015;116(11):1767-1773. doi:10.1016/j.amjcard.2015.08.046

8. Controlled Trial. Am J Respir Crit Care Med. 2021;204(5):573-582. doi:10.1164/ rccm.202011-4133OC

9. Nalliah CJ, Wong GR, Lee G, et al. Impact of CPAP on the atrial fibrillation substrate in obstructive sleep apnea: the SLEEP-AF invasive mapping study. JACC Clin Electrophysiol. 2022;8(7):869-877. doi:10.1016/j.jacep.2022.04.015

10. Naruse Y, Tada H, Satoh M, et al. Concomitant obstructive sleep apnea increases the recurrence of atrial fibrillation following radiofrequency catheter ablation: clinical impact of continuous positive airway pressure therapy. Heart Rhythm. 2013;10(3):331-337. doi:10.1016/j. hrthm.2012.11.015

11. Holmqvist F, Guan N, Zhu Z, Kowey PR, Allen LA, Fonarow GC, et al. Impact of obstructive sleep apnea and continuous positive airway pressure therapy on outcomes in patients with atrial fibrillation - results from ORBIT-AF. Am Heart J. 2015;169(5):647-654.e2. doi:10.1016/j. ahj.2014.12.024

12. Abumuamar AM, Newman D, Dorian P, Shapiro CM. Cardiac effects of CPAP treatment in patients with obstructive sleep apnea and atrial fibrillation. J Interv Card Electrophysiol. 2019;54(3):289-297. doi:10.1007/s10840-018-0482-4

13. Neilan TG, Farhad H, Dodson JA, et al. Effect of sleep apnea and continuous positive airway pressure on cardiac structure and recurrence of atrial fibrillation. J Am Heart Assoc. 2013;2(6):e000421. doi:10.1161/ JAHA.113.000421

14. Li X, Zhou X, Xu X, et al. Effects of continuous positive airway pressure treatment in obstructive sleep apnea patients with atrial fibrillation: a meta-analysis. Medicine (Baltimore). 2021;100(15):e25438. doi:10.1097/

MD.0000000000025438

15. Macedo TA, Giampá SQC, Furlan SF, et al. Effect of continuous positive airway pressure on atrial remodeling and diastolic dysfunction of patients with obstructive sleep apnea and metabolic syndrome: a randomized study. Obesity (Silver Spring). 2023;31(4):934-944. doi:10.1002/ oby.23699

16. Gottlieb DJ. Sleep apnea and the risk of atrial fibrillation recurrence - structural or functional effects? J Am Heart Assoc. 2014;3(1):e000654. doi:10.1161/ JAHA.113.000654

17. Shukla A, Aizer A, Holmes D, et al. Effect of obstructive sleep apnea treatment on atrial fibrillation recurrence: a meta-analysis. JACC Clin Electrophysiol. 2015;1(1-2):41-49. doi:10.1016/j. jacep.2015.02.014

18. Van Gelder IC, Rienstra M, et al. 2024 ESC Guidelines for the management of atrial fibrillation developed in collaboration with EACTS. Eur Heart J. 2024;45(36):33143414. doi:10.1093/eurheartj/ehae176

19. Hu J, Zuo S, Qian J, et al. The effect of continuous positive airway pressure

therapy on atrial fibrillation in patients with obstructive sleep apnea - narrative/ systematic updates. Front Med. 2025; (in press). doi:10.3389/fmed.2025.1509776

20. Affas Z, Affas S, Tabbaa K. Continuous positive airway pressure reduces the incidence of atrial fibrillation in patients with obstructive sleep apnea: A MetaAnalysis and Systematic Review. Spartan Med Res J. 2022;7(2):34521. Published 2022 Sep 6. doi:10.51894/001c.34521

21. Itaya ED, Ternes CMP, Maher T, et al. Efficacy of continuous positive airway pressure on atrial fibrillation recurrence after catheter ablation in patients with obstructive sleep apnea: a systematic review and meta-analysis. J Interv Card Electrophysiol. Published online June 13, 2025. doi:10.1007/s10840-025-02063-2

22. Fan J, Tan CJ, Cao LL, et al. The impact of continuous positive airway pressure therapy on the recurrence of atrial fibrillation in patients with obstructive sleep apnea after pulmonary vein isolation. BMC Cardiovasc Disord. 2025;25(1):473. Published 2025 Jul 4. doi:10.1186/s12872025-04846-x

Р. Несторова, Цв. Петранова

Българско Медицинско Дружество по

Остеопороза, Остеоартроза и други ревматични заболявания.

Остеопороза

– не

костното си здраве

Oстеопорозата остава сред водещите социално-значими заболявания, защото е свързана с висока заболевае -

мост и смъртност, обхваща големи части от населението в трудоспособна възраст, разходите за лечение и рехабилитация са огромни, изисква специализирана

по света са засегнати. В Европа близо 32 милиона души имат остеопороза, което се равнява на 5.6% от общото европейско население в тази възрастова група, или приблизително 25.5 милиона жени (22.1% от жените) и 6.5 милиона мъже (6.6% от мъжете). Близо 75% от фрактурите на бедрото, прешлените и дисталната част на предмишницата се срещат при пациенти на 65 или повече години.

ОСТЕОПОРОЗАТА Е СОЦИАЛНОЗНАЧИМО ЗАБОЛЯВАНЕ, ЗАРАДИ СВЪРЗАНИТЕ С НЕЯ

ПАТОЛОГИЧНИ ФРАКТУРИ Намаленото качество и количество на костта е причината за т.нар. ниско-енергийни фрактури. Това са фрактури без травма (атравматични)

или след минимална травма, т.е. при

здрава кост биха били невъзможни. Големият проблем при фрактурите от остеопороза е, че след първата фрактура започва т.нар. „Каскада на фрактурите”, т.е. следват нови и нови фрактури. Това много сериозно влошава качеството на живот на засегнатите.

ЧЕСТОТА НА ФРАКТУРИТЕ В световен мащаб годишно се отчитат до 37 милиона остеопорозни фрактури при хора над 55 години, което се равнява на 70 фрактури в минута. Всяка 3-та жена и всеки 5-ти мъж след 50 г. претърпява фрактура от остеопороза до края на живота си.

Най-честите фрактури са на китката (на типично място на лъчевата кост), следващите по честота са

фрактури

в диапазона 50-59 години и намалява с възрастта.

T-score

• Близо 75% от всички фрактури на бедрото се срещат при

Бед -

рените фрактури освен с най-голяма заболеваемост, се характеризират и с най-голяма смъртност, като до 24%

от тези пациенти загиват още през първата година след фрактура, като

рискът от смърт продължава минимум 5 години след това.

• 60% от пациентите с фрактура на бедрото се нуждаят от чужда помощ при самообслужване, което означава, че пострадалият губи своята независимост.

• Най-високата честота на

шийка. При постменопаузални жени и при мъже над 50-годшна възраст се допуска изполването на най-ниския T-score от измерването на лумбалните прешлени, проксималния фемур (цяло бедро или бедрена шийка) или 33% място на предмишницата.

Системата на Т-score от рентгеновата абсорбциометрия се използва с диагностична цел само при бели постменопаузални жени и при мъже над 50 г. За тази група Z-score под /-2.0/ налага изключване на вторична остеопороза. За останалите групи - пременопаузални жени, деца и мъже под 50-годишна възраст, се прилага само Z-score. Така например Z-score <-2,0 се диагностицира като „ниска за

същ апарат, особено при налична остеопо -

роза и проследяване ефективността на за -

почнатата терапия.

КОЛКО ЧЕСТО СЕ ПРАВИ ИЗСЛЕДВАНЕТО НА

КМП?

При резултат в границите на нормата изследването се прави на 2 г. (според препоръките на СЗО). При доказана остеопороза изследването се прави веднаж годишно

или веднъж на 1 г. 6 мес. с цел оценка ефективността на започнатата терапия. Задължителни в диагностичния алгоритъм са и лабораторните изследвания на маркерите на костно изграждане и костна резорбция, които показват качеството на костта (най-често в рутинната практика се изследват Калций, Фосфор, Алкална фосфатаза, Креатинин, Beta-Cross Laps, Паратхормон, Остеокалцин, но също и Вит Д3, хормоните на щитовидната жлеза и др.).

РИСКОВИТЕ ФАКТОРИ ЗА ОСТЕОПОРОЗА СА ДВЕ ОСНОВНИ ГРУПИ Първата група са рисковите фактори, които не можем да променим. Такива са менопаузата и възрастта (колкото по-голяма е възрастта, толкова по-голям е рискът от фрактури). Голям рисков фактор е и генетичният. Наличието на фрактура при родител (особено на бедрена фрактура) повишава

въ

за оценка на риска от

и свързаните с нея фрактури.

Не можем да променим също и заболяванията, водещи до остеопороза - най-често това са ревматичните заболявания (артрити, в т.ч.

Ревматоиден артрит, също колагенози и др.), ендокринни (заболявания на щитовидната

жлеза и други жлези, захарен диабет и др.),

бъбречни (хронично бъбречно заболяване), гастро-интестинални, чернодробни и др.)

Приемът на някои медикаменти също

сти. Преустановяването на вредните навици (тютюнопушене,

то

на майката подпомага развитието на здрав скелет на бебето. Неправилният хранителен режим на бременната „удря” скелета на нейното неродено бебе. То се ражда с ниско костно минерално съдържание и не може да достигне в пубертета пиковата костна маса, заради което се увеличва рискът от бедрена фрактура.

Детството и юношеството са най-критичният момент за скелета, тъй като през тези важни периоди се увеличават значително както размерът на костта, така и здравината

й. Приблизително 50% от костната маса се формира

време на юношеството, а 25% от

построяваме по време на двугодишния период

растеж. Този процес продължава до 25-30 г. възраст, когато се формира

пиковата костна маса.

Генетичните фактори определят до 80% от

вариацията в индивидуалната пикова костна маса. Въпреки това фактори като хранителен прием и физическа активност помагат на детето да постигне оптимална здравина на костите си. Достигането на максимална

пикова костна маса е от огромно значение за зрялата и старческата възраст.

Установено е, че повишаването на пиковата КМП с 10% може да забави развитието на остеопороза с 13 години.

Младите хора на възраст между 9-18 години имат по-големи нужди от калций и протеини, като възрастта на най-усилено костно изграждане е 14 години при

дейности на открито, за да се улесни образуването на вит. Д3 в кожата. Родителите могат да им помогнат активно за поддържане здравословното ниво на този ключов за костите

Едната важна причина е, че жените достигат по-ниска пикова костна маса в своето развитие в сравнение с

Другата причина е, че загубата на костна тъкан започва обикновено във възрастта около 40 години (между 35 и 42 г.). Най-бързата костна загуба в живота на жената е около и след менопаузата (средно 50 г. възраст), поради значимия спад на протектиращия костта хормон - естроген. На 50 г. възраст мъжете, за разлика

от постменопаузалните жени, нямат толкова бърза костна загуба. При мъжете загубата

на костна маса се ускорява след 65-70 г. възраст, когато пада нивото на тестостерона. На тази възраст и двата пола са с еднаква степен на костна загуба и с намалена абсорбция на калций.

Важните елементи в храната за поддържане на костното здраве са калцият, вит. Д3, вит. К2, протеините, някои микроелементи като магнезий и цинк.

КАЛЦИЙ В човешкото тяло има около 1 кг калций, а 99% от него са в костите, което доказва, че калцият е основен градивен елемент на скелета. Костта

сирена), сушените плодове, особено смокините, също ядките). Допълнителни хранителни източници на калций са зелените зеленчуци, консервираната риба с меки кости като сардини, ядки и тофу. При остеопороза се препоръчва

допълнителен прием на калций (като хранителна добавка) в оптимална доза 1000 мг/дневно.

ВИТАМИН Д Две са ключовите роли на вит. Д в развитието и поддържането на здрави кости: усвояване на калция от храната в червата и осигуряване на правилното подновяване и минерализацията на костите. Вит. Д се синтезира в кожата, когато е изложена на UV-B лъчите на слънчевата светлина. Сериозен световен проблем е недостатъчността и дефицитът

сок. Храните с най-високо съдържание на вит. Д са дивата сьомга, сардина, риба тон, гъби

те шийтаке (изсушени на слънце).

Слънчевата светлина не винаги е надежден източник на витамин D, защото зависи от сезона и географската ширина , от употребата на слън -

цезащитни продукти , от градския смог, от пигментацията на кожата , както и възрастта на

човека. Като цяло, 10-20 минути излагане на

слънце - извън пиковите часове слънчева светлина (преди 10:00 ч. сутринта и след 14:00 ч. следобяд) дневно - без слънцезащитен крем са

нужни на кожата на лицето, дланите и ръцете, за да произведе необходимото за организма количество вит Д. Трудно е набавянето

от тях са: Витамин К2 Храната е бедна на вит. К2, чийто

(напр. спанак, зеле), черен дроб, някои ферментирали сирена и сушени плодове (сини сливи). Това е причината нивото на вит. К2 да е изключително ниско при съвременния човек (подобно на вит. Д). Затова вит. К2 е добре да се приема допълнително като хранителна добавка - поне 50 микрограма дневно (физиологичен дневен прием), а при остеопороза поне 100 микрограма дневно.

Магнезий Източник са зелените зеленчуци,

ФИЗИЧЕСКИТЕ НАТОВАРВАНИЯ СЕ ПРЕПОРЪЧВАТ ПРИ ОСТЕОПОРОЗА БЕЗ ПАТОЛОГИЧНИ ФРАКТУРИ Необходимо е поддържане на добра физическа активност със силови натоварвания (фитнес, бързо ходене, бавно тичане (джогинг) поне 30-40 мин./дн., с което КМП се увеличава с 1-2%. Също се препоръчват мускулни натоварвания с тежести (около 10 упражнения с 8-10 повторения или изкачване на стълби). Много са полезни упражнения за равновесие и гъвкавост. Плуването е особено полезно за мускулното натоварване.

Физическа активност е задължителна и при

пациентите с патологични фрактури, като изборът й се определя от лекуващия специа -

лист по Физикална медицина и от кинезитерапевта за всеки конкретен случай. Зависи от локализацията на фрактурата и приложе -

ното от травматолога оперативно лечение, от степента на тежест и давност на фрактурата, от придружаващите заболявания и тяхното лечение и др.

ЛЕЧЕНИЕ НА ОСТЕОПОРОЗАТА И ОЦЕНКА ЕФЕКТИВНОСТТА НА ТЕРАПИЯТА Медикаментите, с които лекуваме това заболяване са с доказана ефективност не само в клиничните проучвания, но и в дългогодишната ежедневна практика, както в света, така и в България.

Лечението трябва да започне преди първата фрактура, за да се избегне фрактурната каскада. Разполагаме с три основни групи лекарства.

• Групата на бифосфонатите е златен стандарт в лечението на заболяването и я прилагаме повече от 30 г. Лекарствени -

те препарати от тази група се предлагат в таблетна и инжекционна форма.

• Групата на биологичните средства в Бъл

към лече -

нието е изключително важно, защото само така е възможно да се редуцира рискът от бъдещи фрактури. За съжаление, над 50% от пациентите започнали лечение, го преустановяват. Лечението на остеопорозата не бива да се спира преди да се обсъди с лекуващия лекар.

Ефективността на лечението се установява с изследване на КМП на бедрото и лумбалните

медикаменти е да няма фрактури. Ако пациентката не е имала фрактура за 5-те години лечение, това е много добър резултат и означава, че целта на лечението е постигната, а именно редукция на фрактурния риск. Ако пациентката е направила фрактура след първата година на лечение, това означава, че трябва да преосмислим терапевтичното поведение (смяна на терапията).

Друг много важен аспект в лечението, но също и в превенцията ана фрактурите е промяната на ежедневните навици с цел намаляване риска от падане, като препоръките са да се използват домашни чехли и такива за баня с грайфер, за да се избегне хлъзгането по гладки повърхности (особено върху мокри плочки), премахване на ненужни прегра -

ОП) в съчетание с BMD за оценка на 10-годишния риск от бедрени и други фрактури.

Ако разчитаме само на измерването на BMD, рискуваме да пропуснем

диагнозата остеопороза, защото не сме оценили рисковите фактори.

Основната цел на FRAX програма -

та е да подпомага здравните спе -

циалисти по света за по-лесно иден -

тифициране на пациентите с висок

фрактурен риск. На практика става

въпрос за web базирана програма,

оценяваща 10-годишен риск от ос -

теопоротични фрактури при мъжете

и жените. След като се отговори на

въпросите за тегло, височина, 8 кли -

нични рискови фактора и КМП на бе -

дрената шийка, се избира калкулация и на екрана излиза фрактурният риск в проценти- общо за фракту -

и за фрактура на бедрена шийка.

общият фрактурен риск е над

са рисковите фактори, толкова по-голям е рискът от фрактури (кумулативен ефект на фрактурите).

FRAX програмата на СЗО е достъпна, лесна за попълване и много бързо дава отговор за фрактурния риск в проценти. Ние не лекуваме цифри, а болест, свързана с голяма инвалидност и смъртност. Тази

1. Материали от International Osteoporosis Fondation (IOF)

2. Global Burden Disease Fracture Collaborators. Global, regional, and national burden of bone fractures in 204 countries and territories,1990-2019: a systematic analysis from the global burden of disease study 2019. Lancet Healthy Longev. 2021;2(9):e580–e592

3. Kanis J.A. et al. Long-term risk of osteoporotic fracture in Malmo. Osteoporos Int, 2000. 11(8): p. 669-74

4. Melton L.J. et al. Bone density and fracture

risk in men. J Bone Miner Res, 1998. 13(12): p. 1915-23.

5. Curtis E.M. et al. Epidemiology of fractures in the United Kingdom 1988-2012: Variation with age, sex, geography, ethnicity and socioeconomic status. Bone, 2016. 87: p. 1926. 6. Kanis J.A. et al. A reference standard for the description of osteoporosis. Bone 2008. 42: p. 467-75

7. Kanis J.A, et al. SCOPE 2021: A New Scorecard for Osteoporosis in Europe. Arch

Osteoporos, 2021, 16(1):82.

8. Cooper C. et al. Population-based study of survival after osteoporotic fractures. Am J Epidemiol, 1993. 137(9): p. 1001-5.

9. Leibson C.L. et al. Mortality, disability, and nursing home use for persons with and without hip fracture: a population-based study. J Am Geriatr Soc, 2002. 50(10): p. 1644-50.

12.

10. Magaziner J. et al. Excess mortality attributable to hip fracture in white women aged 70 years and older. Am J Public Health, 1997. 87(10): p. 1630-6. 11. Magaziner J. et al. Predictors of functional recovery one year following hospital discharge for hip fracture: a prospective study. J Gerontol, 1990. 45(3): p. M101-7

2002, 41(3), 186-191

13. Roux C., The living skeleton, 2007

14. Monov S. Nestorova R, Velkova M, et al. Persistence with Denosumab in women at high risk of fracture in Bulgaria. Rheumatology Ther. 2021;8(1):443-455 15. Petranova T. et al. Medication taking behavior in Bulgarian women with postmenopausal osteoporosis with Denosumab or monthly oral bisphosphonates. Arch Osteoporosis. 2017;13(1):1

Й. Ценовски, д.м.

I-ва Хирургична кли-

ника, УМБАЛСМ “Н. И. Пирогов” – София

Хемороиди

ЕТИОЛОГИЯ И ПАТОФИЗИОЛОГИЯ

Повечето симптоми възникват от

увеличени вътрешни хемороиди.

Подуването на хемороидите причинява разширяване и набъбване на артериовенозните плексуси.

Това води до разтягане на окачващите мускули и евентуален пролапс

на ректалната тъкан през аналния канал. Набъбналата анална лигавица лесно се травмира, което води до ректално кървене, което обикновено е яркочервено поради високото

съдържание на кислород в кръвта в

артериовенозните анастомози. Про -

лапсът води до замърсяване и отделяне на слуз (предизвикващ сърбеж)

и предразполага към странгулация.

сфинктера също могат да причинят хемороидални проблеми, вероятно чрез същия механизъм, за който се смята, че е намалено венозно връщане. Стареенето причинява отслабване на носещите конструкции, което улеснява пролапса. Напрежение и запек - отдавна се смятат за причина за образуването на хемороиди. Бременност - ясно предразполага жените към симптоми от хемороиди, въпреки че етиологията е неизвестна. За отбелязване е, че повечето пациенти се връщат в предишното си асимптоматично състояние след раждането. Връзката между бре

ПАТОФИЗИОЛОГИЯ НА

СИМПТОМИТЕ НА ВЪНШНИ

ХЕМОРОИДИ

Външните хемороиди причиняват симптоми по два начина. Пър -

во, може да възникне остра тромбоза. Острата тромбоза обикновено е свързана с конкретно събитие, като физическо натоварване, напрежение със запек, пристъп на диария или промяна в диетата. Болката е резултат от бързото раздуване на инервираната кожа от съсирека и околните отоци. Болката продължава 7-14 дни и отзвучава с от-

звучаване на тромбозата. Външните тромбози може да предизвикат разязвяване на надлежащата кожа и да причиняват кървене. Рецидив се по -

лучава приблизително 40-50%, на

едно и също място (тъй като основ -

ната повредена вена остава там).

Външните хемороиди също могат

да причинят хигиенни затруднения, като излишната кожа, останала след

остра тромбоза, е отговорна за тези

проблеми.

ПРОГНОЗА Повечето хемороиди отзвучават

спонтанно или само с консервативна медицинска терапия. Усложненията обаче могат да включват тромбоза, вторична инфекция, язва, абсцес и инконтиненция. Честотата на рецидиви при нехирургични техники е 10-50% за 5-годишен период, докато тази при хирургичната хемороидектомия е по-малка от 5%.

КЛАСИФИКАЦИЯ НА ВЪТРЕШНИ ХЕМОРОИДИ

Повечето клиницисти използват системата за класификация, предложена от Banov et al. през 1985 г., която класифицира вътрешните хемороиди по степента им на

лекарят трябва да снеме задълбочена анамнеза, която да помогне за стесняване на диференциалната диагноза, и трябва да извърши адекватен физикален преглед (включително аноскопия, когато е показано), за да потвърди диагнозата. Фамилно предразположение, диета, анамнеза за запек или

диария и анамнеза за продължително седене или вдигане на тежести също са от значение, както и загуба на тегло, болки в корема или някаква промяна в апетита или чрев -

ните навици. Трябва да се отбележи и наличието на сърбеж или някакво отделяне. Възпалителните забо -

лявания на червата (напр. Улцерозен колит, болест на Crohn) трябва

да бъдат изключени като причина за симптомите[3]. Инфекцията с

разследване за алтернативна причина, като интерсфинктеричен абсцес или анална фисура. До 20% от пациентите с хемороиди ще имат съпътстващи анални фисури.

Наличието, времето и редуцируемостта на пролапса, когато е налице, ще помогне да се класифицира степента на вътрешните хемороиди и да се насочи към терапевтичния подход

ФИЗИКАЛНО ИЗСЛЕДВАНЕ В допълнение към общия физикален преглед, лекарите трябва да извършват и визуална инспекция на ректума, дигитален ректален преглед и аноскопия или проктосигмоидоскопия. Предпочитаното положение за дигитален

е анален преглед, направете всич -

ко възможно, за да успокоите паци -

ента. Нежното разделяне на двата

глутеуса позволява лесно визуализиране на по-голямата част от ано -

дермата - това включва дисталния анален канал. Аналните фисури и перианалният дерматит (прурикус ани) са лесно видими без ректално туширане. При изследването е важно

да се отбележат наличието на сле -

ди от стари тромбозирали външни хемороиди, фисури, фистули, признаци на инфекция или образуване на абсцес, ректален или хемороида -

лен пролапс. Дигиталното изследва -

не на аналния канал може да идентифицира всякакви индурации или

язви. Също така преценете за наличието на тумор, болезненост, кръв и ректалния тонус. Тъй като вътрешни -

те хемороиди са меки съдови структури, те обикновено не са осезаеми,

освен ако не са тромбозирани. Препоръчва се аноскопия и/или гъвка -

ва сигмоидоскопия за оценка на вся -

ко яркочервено ректално кървене.

Американското дружество на де -

белото черво и ректалните хирурзи (ASCRS) препоръчва пълна ендоскоп -

ска оценка на дебелото черво при

избрани пациенти със симптоматич -

ни хемороиди и ректално кървене[4]

Колоноскопията трябва да се има в

предвид при оценката на всяко рек-

тално кървене, което не е типично за

хемороиди, като например при на -

личие на рискови фактори за злокачествено заболяване на дебелото черво или при установяване на рек-

тално кървене с отрицателен аноректален преглед. Други критерии за колоноскопски скрининг включват - възраст 50 или повече години, ако не е извършен пълен преглед

Въпреки това, пациентите със следните заболявания и състояния имат повишен риск от оплаквания от хемороиди - възпалително заболяване на червата със съпътстващи хемороидални проблеми се появяват често - необичайни хемороидални находки трябва да предупреждават клинициста за потенциална IBD[3] , бременност, варикозите, причинени от портална хипертония. Други състояния, които трябва да се имат предвид при оценка на пациент със съмнение за хемороиди, включват анален рак и колоректални тумори, анални фисури и анални фистули, перианални полипи, перианални абсцеси, пруритус ани, проктит, прокталагия, кондиломи[5]

ДИФЕРЕНЦИАЛНА ДИАГНОЗА

Диференциална диагноза включва остър проктит, сondyloma аcuminatum (генитални брадавици), пролапс на ректума, анални фисури и анални фистули.

ХЕМАТОЛОГИЧНИ ТЕСТОВЕ ПКК може да бъде полезен като маркер за инфекция. Възможна е анемия, дължаща се на хемороидално кървене[1]. Показани са изследвания на коагулацията, ако анамнезата и физикалният преглед предполагат коагулопатия.

АНОСКОПИЯ И ГЪВКАВА СИГМОИДОСКОПИЯ Аноскопията

дят до рецидиви от 30-50% в рамките на 5-10

години. Въпреки това, тези рецидиви обик-

новено могат да бъдат разрешени с допълнителни неоперативни лечения[7]. Основните противоречия по отношение на лечението на хемороиди се съсредоточават върху показанията за лечение и избора на оперативна срещу неоперативна терапия. Повечето опитни хирурзи използват неоперативни терапии или еднодневни процедурии и разчитат по-малко на оперативна хемороидектомия, отколкото преди. Лигирането с ластик (в сравнение с инжекционната склеротерапия) е предпочитаното лечение при еднодневните процедури.

ВЪТРЕШНИ ХЕМОРОИДИ

тромбоза. Първите реагират добре на ексцизията (а не на енуклеацията), докато оперативната резекция е запазена за втората. Не забравяйте, че терапията е насочена

ПОМОЩ Остро тромбозиралите външни хемороиди могат безопасно

вратява това събитие. Разрезът не

трябва да се простира отвъд аналния ръб или по-дълбоко от кожния слой. Впоследствие раната се оставя да зараства вторично чрез гранулация. Зашиването на раната не е необходимо и може да причини повече болка. При пациенти, проявяващи се след 72 часа от началото на симптомите, за предпочита -

не е консервативната медицинска терапия. Острите тромбози спонтанно изчезват за 10-14 дни следователно, пациент, който се представя късно и има намаляваща болка,

е най-добре да не бъде опериран.

Рецидив се получава до 50% при тези пациенти.

КОНСЕРВАТИВНО ЛЕЧЕНИЕ

Това е първоначално избрано лече -

ние за вътрешни и нетромбозира -

ли външни хемороиди. Състои се от

диета с високо съдържание на фи -

бри [8] ; достатъчен прием на течно -

сти; омекотители за изпражнения;

локални и системни аналгетици;

правилна анална хигиена; а в някои

случаи и кратък курс на локален стероиден крем. Преглед от 2012 г.

показва потенциална полза от фле -

ботониците при лечение на хемо -

роиди [9] . Целите на фармакотерапи -

ята са да намали болката и запека

при пациенти с хемороиди. Преква -

лификацията на тоалетния навик на

пациента също е от съображение.

Намаляването на напрежението и

запека намалява вътрешните хемороиди и намалява техните симптоми - следователно лечението от

първа линия на всички вътрешни хемороиди от първа и втора степен (и много от трета и четвърта сте -

вишено количество фибри и добавяне на фибри добавки. Диетата с високо съдържание на фибри включва повече от 25 г фибри на ден. АНТИДИАРЕЙНИ АГЕНТИ, ПРЕКВАЛИФИКАЦИЯ

ТОАЛЕТНИ НАВИЦИ И ОМЕКОТИТЕЛИ ЗА ИЗПРАЖНЕНИЯ Понякога се изискват антидиарейни средства при пациенти с хемороидални симптоми и диарични изпражнения. Пациентите трябва да седят в тоалетната само толкова дълго, колкото да евакуират долните черва. Постоянното натоварване или продължителното седене може да доведе до увеличаване на хемороидите. Омекотителите за изпражнения като Лактулоза се използват за коригиране на запека. Докузат натрий позволява включването на вода и мазнини в изпражненията, което води до омекване на изпражненията.

ЛОКАЛНИ АГЕНТИ

Употребата на локални стероиди не е добре проучена при лечението на тромбирани хемороиди, тези средства обаче могат да се използват за намаляване на симптомите на сърбеж и възпаление. Важно е да се вземат предвид принципите на използване на стероиди и свързаните с тях странични ефекти, като атрофия на лигавицата. Като такъв, продължи

е от полза за пациенти, които имат болезнени лезии. Използват се нестероидни противовъзпалителни средства (НСПВС) перорално

ФЛЕБОТОНИЦИ Detralex е венотоник (повишава венозния тонус) и вазопротектор (повишава устойчивостта на малките кръвоносни съдове). Активното вещество е флавоноидна фракция, пречистена и микронизирана. Една таблетка съдържа 500 мг флавоноидна фракция, пречистена и микронизирана, количество съответстващо

ни методи за унищожаване на вътрешни хемороиди. Нехирургичните техники включват лигиране с ластик, аблация, склероза на лигавичните тъкани[12]. Въпреки няколко мета-анализа, няма ясно предимство на една техника пред останалите. Те са показани за лечение на всички вътрешни хемороиди от първа и втора степен, които не реагират на консервативна терапия. Следните условия са противопоказания за извършване на нехирургичните процедури - синдром на

придобита имунна недостатъчност и аналната болест често се проявяват заедно - препоръчва се консервативна терапия, особено ако е налице имуносупресияq свързана с

лошо зарастване, коагулопатия, бременност (това състояние е свързано с много аноре -

ктални оплаквания); неоперативното лече -

ние или тромбектомия обикновено облекчава оплакванията, въпреки че оперативната хемороидектомия е безопасна при бременни жени[13] , непосредствен следродилен период, пролапс на ректалната стена,голяма аноректална фисура или инфекция, тумор.

ЛИГИРАНЕ С ГУМЕНА ЛЕНТА Лигирането с каучукова лента е най-използваното средство за лечение на хемороиди II и III степен и е стандартът, при който се сравняват други методи. Въпреки че лигирането е ефективно при 75% от пациентите в краткосрочен план, то не лекува пролабирали хемороиди или такива със значим външен компонент [10]. Тъканта некрозира и се отлепва за 1-2 седмици, оставяйки язва, която по-късно фиброзира.

КОАГУЛАЦИЯ, ЕЛЕКТРОКАУТЕРИЗАЦИЯ И ЕЛЕКТРОТЕРАПИЯ Инфрачервената коагулация служи найдобре за степен I и II и някои хемороиди III степен. Този метод може да бъде толкова ефективен, колкото и лигирането с каучукова лента с по-малко и по-малко тежки

И КРИОТЕРАПИЯ Склеротерапията може да осигури адекватно лечение на ранните вътрешни хемороиди[15]. Въпреки това, склеротерапията и криотерапията се използват рядко и обикновено са запазени за хемороиди от I или II степен. Макар и минимално инвазивни, тези методи на лечение имат по-висока честота на постпроцедурна болка. Съобщава се също за импотентност, задържане на урина и образуване на абсцеси. Процентът на рецидиви е до 30%.

Лазерна терапия и радиовълнова аблация Лазерната терапия е по-скъпа и не предоставя предимство пред други методи. Операторите трябва да контролират лазера, за да избегнат кървене. Аблацията с радиовълни, последвана от лигиране може да се окаже безопасен, рентабилен

на пролабиращи хемороиди[16].

ХИРУРГИЧЕСКА ИНТЕРВЕНЦИЯ Много пациенти са били насочени за операция, тъй като имат силно подути пролабирали хемороиди или много големи външни пролабси. Пациентите трябва да избират

агресивно лечение само когато симптомите станат значими. Пациентите с улцерозен колит могат да понасят агресивна операция, ако е необходима. Лекувайте основното остро заболяване преди всяка планова аноректална операция. Избягвайте агресивно лечение при пациенти с болест на Crohn, особено ако ректалната лигавица е остро възпалена, като евакуирате абсцесите възможно най-скоро. Ако е необходимо, оперативната хемороидектомия е безопасна при бременни жени[13].

облекчаване на болката с ексцизия на тромбози и лигиране на вътрешни хемороиди.

ХИРУРГИЧНА ХЕМОРОИДЕКТОМИЯ

Хирургичната хемороидектомия е

най-ефективното лечение за всички хемороиди[10] и по-специално е показана в следните ситуации - консервативното или нехирургично лечение е неуспешно (персистиращо кървене или хронични симптоми), хемороиди от III и IV степен с тежки симптоми, наличие

1. Ibrahim AM, Hackford AW, Lee YM, Cave DR. Hemorrhoids can be a source of obscure gastrointestinal bleeding that requires transfusion: report of five patients. Dis Colon Rectum. 2008 Aug. 51(8):1292-4.

2. Hosking SW, Smart HL, Johnson AG, Triger DR. Anorectal varices, haemorrhoids, and portal hypertension. Lancet. 1989 Feb 18. 1(8634):349-52.

3. D'Ugo S, Stasi E, Gaspari AL, Sileri P. Hemorrhoids and anal fissures in inflammatory bowel disease. Minerva Gastroenterol Dietol. 2015 Dec. 61 (4):223-33.

4. [Guideline] Davis BR, Lee-Kong SA, Migaly J, Feingold DL, Steele SR. The American Society of Colon and Rectal

аноректални състояния (напр. Анална фисура или фистула), изискващи операция. Около 5-10% от хората с хемороиди в крайна сметка се нуждаят от хирургична хемороидектомия.

Следоперативната болка остава основното усложнение, като повечето пациенти се нуждаят от 2-4 седмици преди да се върнат към нормалните си дейности.

Surgeons Clinical Practice Guidelines for the Management of Hemorrhoids. Dis Colon Rectum. 2018 Mar. 61 (3):284-92.

5. [Guideline] Mott T, Latimer K, Edwards C. Hemorrhoids: diagnosis and treatment options. Am Fam Physician. 2018 Feb 1. 97 (3):172-9.

6. [Guideline] Wald A, Bharucha AE, Cosman BC, et al. ACG clinical guideline: management of benign anorectal disorders. Am J Gastroenterol. 2014 Aug. 109(8):114157; (Quiz) 1058.

7. El Nakeeb AM, Fikry AA, Omar WH, et al. Rubber band ligation for 750 cases of symptomatic hemorrhoids out of 2200 cases. World J Gastroenterol. 2008 Nov 14.

14(42):6525-30.

8. Moesgaard F, Nielsen ML, Hansen JB, Knudsen JT. High-fiber diet reduces bleeding and pain in patients with hemorrhoids: a double-blind trial of Vi-Siblin. Dis Colon Rectum. 1982 Jul-Aug. 25(5):454-6.

9. Perera N, Liolitsa D, Iype S, Croxford A, Yassin M, Lang P, et al. Phlebotonics for haemorrhoids. Cochrane Database Syst Rev. 2012 Aug 15. 8:CD004322.

10. Hollingshead JR, Phillips RK. Haemorrhoids: modern diagnosis and treatment. Postgrad Med J. 2016 Jan. 92 (1083):4-8.

11. Gorfine SR. Treatment of benign anal disease with topical nitroglycerin. Dis Colon

Rectum. 1995 May. 38(5):453-6; discussion 456-7.

12. Johanson JF, Rimm A. Optimal nonsurgical treatment of hemorrhoids: a comparative analysis of infrared coagulation, rubber band ligation, and injection sclerotherapy. Am J Gastroenterol. 1992 Nov. 87(11):1600-6.

13. Saleeby RG Jr, Rosen L, Stasik JJ, Riether RD, Sheets J, Khubchandani IT. Hemorrhoidectomy during pregnancy: risk or relief?. Dis Colon Rectum. 1991 Mar. 34(3):260-1.

14. Loh WL, Tan S, Ngooi MS, Ong ZK, Ngoi SS. Endoscopic monopolar coagulation of internal haemorrhoids: a surgeon's

experience of the first 100 cases. Colorectal Dis. 2017 Jan. 19 (1):O86-9. 15. Thornton SC. Sclerotherapy of hemorrhoids. Selected Topics in Colon and Rectal Surgery. Vol 5. Norwalk, Conn: Konsyl Pharmaceuticals; 1992:72-5.: 16. Gupta PJ, Kalaskar S. Radiowave ablation and mucopexy for prolapsing hemorrhoids-a pilot study. Int J Surg. 2009 Jun. 7(3):2237. 17. Leff EI. Hemorrhoidectomy--laser vs. nonlaser: outpatient surgical experience. Dis Colon Rectum. 1992 Aug. 35(8):743-6.

18. Kyle R Perry, MD; Chief Editor: John Geibel, MD, MSc, DSc, AGAF more.. Hemorrhoids E Medscape.

думи: Белодробна тромбоемболия, венозен тромбоемболизъм, дълбока венозна тромбоза, тромботичен товар.

EПИДЕМИОЛОГИЯ Честота на ВТЕ Средната годишна честота на ВТЕ

бялата раса при 25-годишно проучване е 117/100 000, от които 48/100 000 са с ДВТ и 69/100 000 с БТЕ[27]. Ре -

алната честота на ВТЕ вероятно е

по-висока поради високия процент

клинично неразпознати прояви на

ВТЕ и намаляване броя на извършва -

ните аутопсии. Същестуват разлики в

честота на ВТЕ в зависимост от етноса, като при афро-американците честотата на ВТЕ е с около 25% по-висока от тази на бялата раса, докато при

други етнически групи тя е по-ниска, сравнена с бялата раса[33]. Според „Консенсус за

(130/100 000); при жените (110/100 000; отношение мъже:жени 1,2:1) [27]. Честота сред жените е по-висока в детеродния период, докато честотата след 45-годишна възраст е значително по-голяма при мъжкия пол[27]. Дълбоката венозна тромбоза без БТЕ е рядка във възрастта 2035 години (20/100 000) и нараства след 60 години, като за възрастта 70-80 години достига до 200/100 000 (Фиг. 1)[27]. Белодробната емболия е с ниска честота във възрастта 20-35 години (30/100 000) и достига до 300/100 000 след 80-годишна възраст [27] .

Рискови фактори Най-важните рискови фактори за ВТЕ са обезитет (26.9%), активно малигнено заболяване (22.3%), тютюнопушене (17.7%), скорошна оперативна интервенция (14.4%), имобилизация (11.6%), ХОББ (8.5%), сърдечна

крайник, торакална, абдоминална

или пелвична хирургия при онкозаболяване, след бъбреч -

на трансплантация и кардиохирургия[18]

Независими рискови фактори за ВТЕ след хирургия са престой

в интензивно звено

над 6 дни, имобилизация и инфекция[32]

В подробен ана -

лиз на рисковите фактори за

БТЕ в проучването LITE (Longitudinal Investigation of Thromboembolism Etiology), не се уста -

новява връзка между кардиоваскуларните рискови фактори (тютюнопушене, хи -

пертония, дислипидемия, алкохолна злоупотреба и заседнал начин на живот)

и БТЕ[23]

Имобилизация. Имобилизацията повишава рискът от ВТЕ

поради стаза на

кръвта във венозната система. Малки форми на обездви -

женост, например малка хирургия или

травма, също се свързват с повишен риск от ВТЕ[27].

Малигнено

панкреаса, бял дроб,

онкозаболя -

вания[21]

Пътуване. Продъл -

жителността на пътуването е опреде -

ляща за риска от ВТЕ – над 4 или повече часа увеличава над 2

пъти риска от тромбообразуване за ня -

колко седмици след самото пътуване[13]

Рискът е по-голям

при наличието и на друг рисков фактор.

Хормонална терапия и бременност. При -

емът на контрацептиви повишава риска

за ВТЕ 3-5 пъти, но като цяло абсолют-

ният риск при здрави

жени

функция

увеличаване на коагулантната способност

или

про/анти-коагулантната система[8]. Затруднената коагулантна способност включва дефицита на ендогенни антикоагуланти, антитромбин, протеин С и протеин S. Те са по-редки в сравнение с хиперкоагулабилитетните нарушения, но могат да бъдат по-силни фактори за ВТЕ. Увеличена антикоагулантна функция има при мутации на фактор V Лайден, протромбин 20210А вариант и възможно увеличение на прокоагуланни фактори като фактор VIII, фактор на von Willebrand и фактор V, VII, IX и XI[24]. В две български проучвания честотата на FVL мутацията сред болни с белодробна емболия варира значително: от 8.3% до 23.5%[19].

Високият D-димер също е рисков фактор за първи епизод на ВТЕ в здрави индивиди[8].

риск за

е по-голям от провокираните и дос -

тига 30 до 50%[4]. Непровокираната

ДВТ рецидивира 2.1 пъти по-често от

провокираната БТЕ[11]. Рискът от рецидив е най-висок в първите 6 до 12

месеца. Въпреки това дори и след 10

години рискът от ВТЕ никога не спада до нула. Въпреки че активната антикогулантна терапия е ефективна

в превенцията на рецидив[30], про -

дължителността на антикоагулацията не променя риска от рецидив след като тя бъде прекратена[30]. Годишна -

та честота на рецидивите след спи -

ране на антикоагулантната терапия

е 3-5%/годишно, като пикът е в пър -

вите 2 години след спирането на ан -

тикоагуланта[2]

Смъртност при остра дълбока ве -

нозна тромбоза

Честотата на вътреболничните фа -

тално завършили случаи на ДВТ е

около 5%, смъртността на първата, третата и петата година след инци -

дента е 22%, 30% и 39%, респектив -

но[27]. Ранната смъртност най-често е

в резултат на карцином, БТЕ или сър -

дечна болест.

СИМПТОМИ И КЛИНИЧНИ НАХОДКИ

НА ДВТ

Клиничното представяне на острата ДВТ е различно при засягането на различни анатомични региони, броят на обхванатите съдове, разпространението и степента на оклузия на съдовете от тромбозата. Симпто -

мите при остра ДВТ могат да варират широко – от липсата на каквото и

да било оплакване до масивен оток, цианоза и начеваща венозна гангрена (phlegmasia cerulea dolens). Кол -

кото по-проксимална е ДВТ, толкова

по-изразени и тежки са симптомите.

Условно ДВТ се разделя на три типа

– изолирана дистална (обхващаща

вени на подбедрицата), феморопо -

и илиофеморална тром -

(проксимална). Повечето про -

докладват, че

температура, проминиращи повърхностни вени, болка при пасивна дорзална флексия на стъпалото (симптом на Хоманс) и периферна цианоза. Симптомът на Louvel се изразява в болка по хода на тромбозиралата вена при кихане и кашляне[5]. Симптомът на Lowenberg е наличен, когато при инфлация на пневматичен маншет на двете подбедрици се появи болка в засегният крайник при по-ниско налягане в сравнение със здравия[5]. Тези симптоми могат да се появят в разнообразна комбинация и най-често се разгръщат във времето за няколко дни, но също така е възможна много бърза (за часове)

което

води до венозна гангрена[11] Симптомите и клиничните изяви на

ДВТ са неспецифични и могат да бъдат объркани с други състояние на долните крайници, като в едно изследване те са лимфедем (17%), венозен рефлукс (8%), тромбоза на повърхностна вена, целулит (3%), мускулно-скелетна травма (40%), Бейкерова киста (5%), аномалии на коляното (2%), други неизвестни (26%)[22]. Сред пациенти със симптоми за ДВТ, насочени към съдов специалист и изследвани с ултразвук, около

лирубин над 2 mg/dL. Към момента се счита, че степента на нарастване на стойността на D-димер не отразява тежестта на горепосочените процеси! Повишените нива на D-димер имат предиктивна стойност и при пациенти с рак[17]

Изследването на D-димер е задължителен елемент от съвременният диагностичен алгоритъм при ДВТ. Съвременните методи за изследване осигуряват близо 100% негативна предикторна стойност на нормалните нива на D-димер в диагностичния алгоритъм на ДВТ. Позитивната му предиктивна стойност е ниска поради ниската специфичност на метода.

ИНСТРУМЕНТАЛНИ

сонография (ЦКДС) Високата специфичност и сензитивност

венозният рефлукс са чести причини за симптоми, наподобяващи ДВТ и могат да бъдат разграничени ехографски.

Другите инструментални методи за диагностика са контрастната венография (все по-рядко),

В проучване на детерминантите на хроничното венозно заболяване след остра ДВТ, Meissner et al проследили 68 пациенти в продължение на 2 години. Първоначалното тромботично натоварване е било 6.9±4.2. Те са установили, че тромбозата на поплитеалната вена е свързана с повишен риск от посттромбозен синдром. Също така те идентифицирали рисковите фактори за ДВТ без връзка с тромботичното натоварване[14].

Meissnet et al в друго проучване за коагулация, маркери на фибринолизата и реканализация, установили

първоначалното тромботично натоварване е 5.1±4.7 при 71. Анализирани са рисковите фактори, но е обърнато по-специално

ЗАКЛЮЧЕНИЕ

Диагностичен и терапевтичен ултразвук. 2013, 2-3: 78-83.

3. Cushman M, O’Meara ES, Folsom AR, Heckbert SR. Coagulation factors IX through XIII and the risk of future venous thrombosis: the Longitudinal Investigation of Thromboembolism Etiology. Blood. 2009 Oct 1;114(14):2878–83.

4. Dewailly M, Rémy-Jardin M, Duhamel A, Faivre J-B, Pontana F, Deken V, et al. Computer-aided detection of acute pulmonary embolism with 64-slice multidetector row computed tomography: impact of the scanning conditions and overall image quality in the detection of peripheral clots. J Comput Assist Tomogr. 2010 Jan;34(1):23– 30.

5. Goldhaber SZ, Visani L, De Rosa M, others. Acute pulmonary embolism: clinical outcomes in the International Cooperative Pulmonary Embolism Registry (ICOPER). The Lancet. 1999;353(9162):1386–9.

6. Heit JA, Mohr DN, Silverstein MD, Petterson TM; O’Fallon WM, Melton LJ III. Predictors of recurrence after deep vein thrombosis and pulmonary embolism: A population-based cohort study, Arch Intern Med 2000.160:761-768

7. Ivanov P, Komsa-Penkova R, Kovacheva K, Ivanov Y, Stoyanova A, Ivanov I, et al.

Impact of Thrombophilic Genetic Factors on Pulmonary Embolism: Early Onset and Recurrent Incidences. Lung. 2007 Dec 21;186(1):27–36.

8. Jadaon MM. Epidemiology of prothrombin G20210A mutation in the Mediterenean region. Mediterranean Journal of Hematology and Infectious Diseases [Internet]. 2011 Nov 28 [cited 2013 Dec 29];3(1).

9. Johnson, B. F., R. A. manzo, R. O. Bergelin, D. E. Strandness, J. Vacs. Surg., 21 (1995) 307

10. Killewitch, L. A., R. F. Macko, K. Cox, D. R. Franklin, M. E. Benjamin, M. P. Lilly, W. R. Finn, J. Vasc. Surg., 26 (1997) 861

11. Laporte S, Mismetti P, Decousus H, Uresandi F, Otero R, Lobo JL, et al. Clinical Predictors for Fatal Pulmonary Embolism in 15 520 Patients With Venous Thromboembolism: Findings From the Registro Informatizado de la Enfermedad TromboEmbolica venosa (RIETE) Registry. Circulation. 2008 Mar 24;117(13):1711–6

12. Lijfering WM, Veeger NJGM, Middeldorp S, Hamulyak K, Prins MH, Buller HR, et al. A lower risk of recurrent venous thrombosis in women compared with men is explained by sex-specific risk factors at time of first venous thrombosis in thrombophilic families. Blood. 2009 Jul 1;114(10):2031–6.

13. Luo Q, Xie J, Han Q, Tang C, Chen X, Wu L, et al. Prevalence of Venous Thromboembolic Events and Diagnostic Performance of the Wells Score and Revised Geneva Scores for Pulmonary Embolism in Patients with Interstitial

Lung Disease: A Prospective Study. Heart, Lung and Circulation. 2014 Aug 1;23(8):778–85.

14. Meissner, M. H., B. K. Zierler, R. O. Bergelin, W. C. Chandler, D. E. Strandness, J. Vasc. Surg., 35 (2002) 278

15. Meissner, M. H., M. T. Caps, B. K. Zeieler, N. Polissar, R. O. Bergelin, R. A. Manzo, D. E. Strandness, J. Vasc. Surg., 28 (1998) 826

16. Niksa Vucic et al, Thrombus Size is Associated with Etiology of Deep Venous Thrombosis – A Cross-Sectional Study, Coll. Antropol. 29 (2005) 2: 643-647

17. Nordenholz K, Ryan J, Atwood B, Heard K. Pulmonary Embolism Risk Stratification: Pulse Oximetry and Pulmonary Embolism Severity Index. Journal of Emergency Medicine. 2011 Jan 1;40(1):95–102.

18. Ohira T, Cushman M, Tsai MY, Zhang Y, Heckbert SR, Zakai NA, et al. ABO blood group, other risk factors and incidence of venous thromboembolism: the Longitudinal Investigation of Thromboembolism Etiology (LITE). Journal of Thrombosis and Haemostasis. 2007 Jul 1;5(7):1455–61.

19. Pasha SM, Klok FA, Snoep JD, Mos ICM, Goekoop RJ, Rodger MA, et al. Safety of excluding acute pulmonary embolism based on an unlikely clinical probability by the Wells rule and normal D-dimer concentration: a meta-analysis. Thromb Res. 2010 Apr;125(4):e123–7.

20. Pontana F, Henry S, Duhamel A, Faivre J-B, Tacelli N, Pagniez J, et al. Impact of iterative reconstruction on the diagnosis of acute pulmonary embolism (PE) on

reduced-dose chest CT angiograms. Eur Radiol. 2015 Jan 31;25(4):1182–9. 21. Pedrajas JM, Garmendia C, Portillo J, Gabriel F, Mainez C, Yera C, et al. Enfermedad tromboembólica venosa idiopática versus secundaria. Hallazgos del registro RIETE. Revista Clínica Española. 2014 Oct;214(7):357–64.

22. Prandoni P, Barbar S, Milan M, Campello E, Spiezia L, Piovella C, et al. Optimal duration of anticoagulation. Provoked versus unprovoked VTE and role of adjunctive thrombophilia and imaging tests. Thromb Haemost. 2015 May 26;113(6):1210–5.

23. Rackauskiene J, Gedvilaite V, Mataciunas M, Abrutyte M, Kusner O, Danila E. Clinical significance of C reactive protein and MASTORA score in pulmonary embolism. Eur Respir J. 2014 Sep 1;44(Suppl 58):P3659.

24. Trenor CC, Chung RJ, Michelson AD, Neufeld EJ, Gordon CM, Laufer MR, et al. Hormonal Contraception and Thrombotic Risk: A Multidisciplinary Approach. Pediatrics. 2011 Feb 1;127(2):347–57.

25. Tzoran I, Brenner B, Papadakis M, Di Micco P, Monreal M. VTE Registry: What Can Be Learned from RIETE? Rambam Maimonides Medical Journal. 2014 Oct 29;5(4):e0037

26. Sharifi M, Bay C, Skrocki L, Rahimi F, Mehdipour M. Moderate Pulmonary Embolism Treated With Thrombolysis (from the “MOPETT” Trial). The American Journal of Cardiology. 2013 Jan;111(2):273–7.

27. Silverstein MD, Heit JA, Mohr DN, Petterson TM, O’Fallon WM, Melton

III LJ. Trends in the incidence of deep vein thrombosis and pulmonary embolism: a 25-year population- based study. Archives of Internal Medicine. 1998;158(6):585.

28. Steffen LM, Cushman M, Peacock JM, Heckbert SR, Jacobs Jr DR, Rosamond WD, et al. Metabolic syndrome and risk of venous thromboembolism: Longitudinal Investigation of Thromboembolism Etiology. Journal of Thrombosis and Haemostasis. 2009 May 1;7(5):746–51.

29. Stojanovich L. Pulmonary manifestations in antiphospholipid syndrome. Autoimmun Rev. 2006 May;5(5):344–8.

30. Thieme SF, Ashoori N, Bamberg F, Sommer WH, Johnson TRC, Leuchte H, et al. Severity assessment of pulmonary embolism using dual energy CT – correlation of a pulmonary perfusion defect score with clinical and morphological parameters of blood oxygenation and right ventricular failure. Eur Radiol. 2011 Sep 14;22(2):269–78.

31. Van Ramhorst, B., P. S. Van Bemmelen, H. Hoevenveled, L. A. L Faber, B. C. Eikelboom, Circulation, 86 (1992)

32. Wattanakit K, Cushman M, StehmanBreen C, Heckbert SR, Folsom AR. Chronic Kidney Disease Increases Risk for Venous Thromboembolism. JASN. 2008 Jan 1;19(1):135–40

33. Zöller B, Li X, Sundquist J, Sundquist K. Age- and Gender-Specific Familial Risks for Venous Thromboembolism A Nationwide Epidemiological Study Based on Hospitalizations in Sweden. Circulation. 2011 Aug 30;124(9):1012–20.

Н. Вълчев, В. Червенков, д.м. „Аджибадем Сити Клиник УМБАЛ

Токуда“ - София

Хроничната венозна болест (ХВБ) е едно от най-често срещаните съдови заболявания, засягащи пациенти от всички възрасти, като особено висок е рискът при хора с наследствена

тъкан, наднормено тегло, недостатъчна физическа активност,

на

но

брой пациенти. На база на наличните до момента проучвания в тази област се установява от повечето автори, че макар и краткосрочните резултати от процедурата да са добри, то дългосрочната анатомична успеваемост на механохимичната аблация е по-ниска в сравнение с цитирани резултати от провеждане на термалните методи на аблация. Това е дало основание да се въведе модифициран метод на

механохимична аблация, с оглед увеличаване анатомичната успеваемост на процедурата и намаляване на потенциалните странични ефекти. Концепцията на модифицирания метод се състои в промяна в алгоритъма на цялата процедура, като ключовата разлика е аспирацията на склерозиращия агент в края на процедурата.

Използването на модифицирания метод на

механохимична аблация има потенциала да

увеличи значително анатомичната успеваемост на процедурата като намали рецидивите и се запазва високата удовлетвореност на пациентите на фона на сходно време за извършване на процедурата.

Това насочи нашето внимание към изучаване на приложението на механохимичната аблация, като се разгледат нейните клинични предимства, ограничения и потенциал за бъдещо развитие и се сравнят резултати от приложението на двете модификации на метода.

Механохимичната аблация (МОСА) е ендовенозен метод на аблация, който не изисква употребата на тумесцентна анестезия.

а именно:факта, че голямо количество склерозант мигрира към дълбоките вени, което повишава риска от флеботромбоза, допълнително не е изяснено как трябва да се процедира ако не настъпи спазъм на сафенофеморалното съустие, допълнителна дискусия поражда и въпроса защо не се използва склерозант под формата на пяна след като знаем, че е много по-ефективна от течната форма. На всички тези въпроси и критики може да се отговори с въвеждането на модифициран подход при извършване на механохимична аблация. Първата особеност на

ме

кубикови спринцовка. В началото на

процедурата пяната е премесена с

малко количество кръв, но след като

настъпи спазъм на сафенофеморал -

ното съустие, пяната, която се отделя в спринцовката, изглежда почти непроменена.

Някои от потенциалните предимства на модифицирания подход за

извършване на мехнохимична аблация са следните: Дава се възможност да се работи със склерозант под фор -

мата на пяна, която е в пъти по-ефективна при третирането на вени с лумен над 2 мм, използваме над 50%

по-малко количество склерозант със

същия или по-добър ефект, нама -

ляваме рисковете от пропагация на склерозанта в дълбоките вени и по -

тенциални усложнения, свързани с това, аспирацията през дезилето

води до колабиране на вената и по -

добрява контакта между влакното и венозната стена.

За период от 3 години проследихме и анализирахме резултатите от ле -

чението на 220 пациента, които раз -

делихме в две групи. В първа група

имаме 110 пациента с хронична ве -

нозна болест, лекувани с класически подход при извършване на меха -

нохимична аблация. Във втора група

имаме 110 пациента, лекувани с мо -

дифициран подход.

След анализ на събраните от нас

данни, направихме следните изводи относно мястото на механохимичната аблация в съвременния алгоритъм на лечение на пациенти с хронична венозна болест и сравнението между

класическото приложение на метода и модифицирания подход: 1. Сравняване на двете групи: анализирайки резултатите установихме, че сравняваме две сравними

се дефинира като липса на реканализация (пълна или частична) в края на третата година. В групата с класически подход при механохимична аблация отчитаме 75.45% анатомична успеваемост. В групата с модифициран подход при извършване на механохимична аблация отчитаме 86.36% анатомична успеваемост. При сравняване на двата показателя откриваме статистически значима разлика в полза на втората група Р = 0.01<0.05, което означава, че модифицираният подход предлага по-добра анатомична успеваемост. • Клиничната успеваемост се дефинира като липса на оплаквания и рецидив на варикозата дори при наличието на

доказуема пълна или частична реканализация. В групата пациенти с класи -

чески подход при механохимична аблация отчитаме 91.8% клинична успеваемост, а във втората група 92.7%. Това са пациенти, които са доволни от лечението и нямат рецидив на заболяването. При анализ на резултатите не откриваме статистически значима разлика между двете групи по отношение на клинична успеваемост.

3. По отношение на връзката между

пол и реканализация

• При анализ на данните откриваме мъжкия пол като рисков фактор за реканалиация при пациентите в първа група Р=0.01<0.05. При жените не се

ради малката бройка пациенти е трудно да говорим за статистически значима разлика между двете групи.

• Хиперпигментация - при анализ на данните установихме, че има статистически значима разлика Р = 0.01<0.05 между пигментациите в двете групи пациенти като отчитаме тов усложнение при 6.3% от пациентите във първо група и при 2.7% от пациентите във втора група. На база на това можем

да стигнем до заключението, че

модифицираният подход води до

по-нисък процент хиперпигментации. Дисперсионният анализ по -

казва, че дълбочината е рисков фактор за поява на хиперпигментации като при анализ на данните достигнахме до заключението, че усложнението се среща по-често

и в двете групи, когато лекуваме вени, разположени на по-малко от 5 мм от кожата.

• Тромбофлебити - при анализ на

данните установихме статистически значима разлика Р = 0.02<0.05

по отношение на честотата на тромбофлебит. На база на тези

резултати можем да кажем, че модифицираният подход води до

по-нисък процент усложнения от тромбофлебит. При дисперсионен анализ установихме, че дълбочина на вена е рисков фактор за поява на тромбофлебит като честотата на тромбофлебит нараства при дълбочина на вената под 0.7 см от кожата.

7. По отношение на възприемане -

анализ

резултатите

-

ме статистически значима разлика между

на показателя

0-10 в категории 0 и 1 съответно Р = 0.03<0.05 и Р = 0.04<0.05. На база на тези резултати можем да кажем, че модифицираният подход води до по-ниска ниво на болка в ранният постпроцедурен

анализ на данните установихме статистически значима разлика в двете групи по отношение на показателя "продължителност

хематоми, фазата на обучение е кратка, удовлетворението от страна на пациента е по-високо, което заедно с доказано високата ефективност правят метода особено атрактивен. Модифицираният вариант на метода допълнително повишава анатомична успеваемост като я доближава до тази на термалните методи на аблация, което прави метода още по атрактивен както за пациентите, така и за съдовите специалисти.

1. Hassanin A, Aherne TM, Greene G, Boyle E, Egan B, Tierney S, Walsh SR, McHugh S, Aly S. A systematic review and meta-analysis of comparative studies comparing nonthermal versus thermal endovenous ablation in superficial venous incompetence. J Vasc Surg Venous Lymphat Disord. 2019 Nov;7(6):902-913.e3. doi: 10.1016/j.jvsv.2019.06.009. PMID: 31627874.

2. Chen J, Zhang J, Wang Q, et al. Efficacy and safety of mechanochemical ablation versus laser ablation in the treatment of primary great saphenous vein reflux: A randomized, open, parallel controlled clinical trial. Vascular. 2024;33(2):383-390. doi:10.1177/17085381241244865

3. Terlecki P, Boryga M, Kołodziej P, Gołacki K, Stropek Z, Janczak D, Antkiewicz M, Zubilewicz T.Mechanical Characteristics of the Flebogrif System-The New System of Mechano-Chemical Endovenous Ablation. Materials (Basel). 2022 Apr 1;15(7):2599. doi: 10.3390/ma15072599.PMID: 35407933

4. Alozai T, Huizing E, Schreve M, Mooij MC, van Vlijmen CJ, Wisselink W, Ünlü Ç. A systematic review and meta-analysis of mechanochemical endovenous ablation using Flebogrif for varicose veins. J Vasc Surg Venous Lymphat Disord. 2022 Jan;10(1):248-257.e2. doi: 10.1016/j.jvsv.2021.05.010. Epub 2021 Jun 6..

5. Belramman A, Bootun R, Tang TY, Lane TRA, Davies AH. Pain Outcomes Following Mechanochemical Ablation vs Cyanoacrylate Adhesive for the Treatment of Primary Truncal Saphenous Vein Incompetence: The MOCCA Randomized Clinical Trial. JAMA Surg. 2022 May 1;157(5):395-404. doi: 10.1001/jamasurg.2022.0298.PMID: 35385061

И. Калинкова1 , М. Калинкова2

1УМБАЛ „Св. Иван Рилски“, Клиника по Нефрология

2„Аджибадем Сити

Клиник УМБАЛ Токуда“ - София

Ендокринно засягане при системна амилоидоза

ВЪВЕДЕНИЕ Амилоидозата представлява група

заболявания, характеризиращи се с

извънклетъчно отлагане на неразтворими, неправилно нагънати протеинови фибрили - амилоид в тъканите

и органите, което води до прогресив -

на органна дисфункция[1,2]. Тези ами -

лоидни фибрили имат обща β-структура, която ги прави устойчиви на

протеолиза и елиминиране. Заболя -

ването се класифицира според пре -

курсорния протеин, отговорен за образуването на амилоид. Съществуват системни и локализирани форми, които могат да бъдат придобити или

наследствени по произход[1,2]

Системната амилоидоза най-често възниква в резултат на имуноглобу-

линови леки вериги (AL амилоидоза), транстиретин (ATTR амилоидоза)

или серумен амилоид A протеин (AA

амилоидоза), но са идентифицирани

повече от 40 амилоидогенни протеина[1,2,3]. Диагнозата се потвърждава

хистопатологична идентифика -

ендокринната система от амилоидоза, тъй като данните са лимитирани до представени клинични случаи.

ЗАСЯГАНЕ НА ХИПОФИЗАТА ПРИ АМИЛОИДОЗА

Локализирана амилоидоза на хипофизата се наблюдава при около 80% от възрастните пациенти над 80 години в аутопсионни серии и се дължи на сенилна амилоидоза[5,6]. Кръвно-мозъчната бариера не позволява преминаване на амилоидни фибрили от системното

се избегне животозастрашаващи състояния в резултат от надбъбречна недостатъчност[9] ЩИТОВИДНА ЖЛЕЗА ПРИ СИСТЕМНА АМИЛОИДОЗА Съществуват данни, че при пациенти със системна амилоидоза, асимптоматични амилоидни депозити се откриват в 30-80% при хистологична

кохорта и публикувани случаи [14]

Амилоидната гуша може да доведе до прогресивно, дифузно и бързо увеличение на жлезата, проявяващо се със симптоми на притискане – дисфагия, диспнея, дрезгавост[15]

ПАРАЩИТОВИДНИ ЖЛЕЗИ ПРИ СИСТЕМНА АМИЛОИДОЗА Засягането на паращитовидните жлези при пациенти със системна амилоидоза рядко е описвано в литературата. Съобщавани са и случаи на обширно отлагане на амилоид (тип AA) в множество органи, включително паращитовидните жлези при пациент с болест на Крон[16]. Хипопаратиреоидизъм, съпътстващ първичен хипотиреоидизъм, надбъбречна недостатъчност и тестикуларна недостатъчност (индикативни за полиендокринна недостатъчност), е описан при пациент с бъбречна недостатъчност и амилоидоза, свързана с фа -

милна средиземноморска треска[17].

ПАНКРЕАС ПРИ СИСТЕМНА

АМИЛОИДОЗА

Системна амилоидоза, свързана с от-

лагане на амилоид в панкреаса, е оп -

исана в ограничен брой случаи. В по -

вечето от тях панкреасът е един от

няколко органа, инфилтрирани от AL

или AA тип амилоид при аутопсии [16, 18, 19] като само един пациент е съ -

общен с диабет[20]. Strege и съавт.[16]

изследват клиничните и морфологичните характеристики на систем -

ната амилоидоза при 43 аутопсии и демонстрират отлагане на амилоид (AA, AL и транстиретинов тип) в пан -

креаса при 85% от 20 пациенти с AA амилоидоза, 70% от 10 пациенти с AL амилоидоза и 45% от 11 пациенти със сенилна амилоидоза.

НАДБЪБРЕЧНИ ЖЛЕЗИ ПРИ СИСТЕМНА АМИЛОИДОЗА Отлагане на амилоид в надбъбреч -

ните жлези е показано хистопатологично при AL и AA амилоидоза[22,23] Симптоматична първична надбъбречна недостатъчност рядко се проявява, тъй като е необходимо обширно отлагане на амилоид и разрушаване на кората на надбъбрека, за да се прояви клинично[24,25]

ГОНАДИ ПРИ СИСТЕМНА

АМИЛОИДОЗА Тестикуларно отлагане на амилоид, водещо

изключително редки[20]. ЗАКЛЮЧЕНИЕ Амилоидозата представлява комплексно заболяване с мултиорганно засягане. Документирани са случаи на ендокринно засягане при системна амилоидоза. В случаите с полиорганно засягане е необходим мултидисциплинарен подход. Обединените усилия на хематолози, ендокринолози, нефролози, кардиолози, невролози, са

1. Kittleson MM, Ruberg FL, Ambardekar AV, et al. 2023 ACC Expert Consensus Decision Pathway on Comprehensive Multidisciplinary Care for the Patient With Cardiac Amyloidosis: A Report of the American College of Cardiology Solution Set Oversight Committee. J Am Coll Cardiol. 2023;81(11):1076-1126. doi:10.1016/j.jacc.2022.11.022.

2. Picken MM. Current Understanding of Systemic Amyloidosis and Underlying Disease Mechanisms. Am J Cardiol. 2022;185 Suppl 1:S2-S10. doi:10.1016/j. amjcard.2022.10.057. PMID:36549788.

3. Leung N, Nasr SH. 2024 Update on Classification, Etiology, and Typing of Renal Amyloidosis: A Review. Am J Kidney Dis. 2024;84(3):361-373. doi:10.1053/j. ajkd.2024.01.530.

5. Röcken C, Saeger W, Fleege JC, Linke RP. Interstitial amyloid deposits in the pituitary gland: morphometry, immunohistology, and correlations to diseases. Arch Pathol Lab Med. 1995;119(11):1055-1060.

6. Röcken C, Eick B, Saeger W. Senile amyloidoses of the pituitary and adrenal glands: morphological and statistical investigations. Virchows Arch. 1996;429(45):293-299.

7. Schröder R, Linke RP. Cerebrovascular involvement in systemic AA and AL amyloidosis: a clear haematogenic pattern. Virchows Arch. 1999;434(6):551-560.

8. Xu Y, Zhang H, Liu P. Primary Intrasellar Amyloidoma. J Craniofac Surg. 2023 Mar-Apr;34(2):e113-e115. doi:10.1097/ SCS.0000000000008811. PMID:36210492

4. Sugi MD, Kawashima A, Salomao MA, et al. Amyloidosis: Multisystem Spectrum of Disease With Pathologic Correlation. Radiographics. 2021;41(5):1454-1474. doi:10.1148/rg.2021210006.

9. Verbeke N, Pirson N, Devresse A, Furnica R, Duprez T, Maiter D. Anterior hypopituitarism in a patient with amyloidosis secondary to Crohn’s disease: a case report. J Med Case Rep. 2018;12:174. doi:10.1186/s13256-018-1719-7. PMID: 29956618

10. Kyle RA, Bayrd ED. Amyloidosis: review of 236 cases. Medicine (Baltimore). 1975;54(4):271–299. doi:10.1097/00005792-197507000-00001. PMID:1096965.

11. Gertz MA, Kyle RA. Primary systemic amyloidosis—a diagnostic primer. Mayo Clin Proc. 1989;64(12):1505–1519. doi:10.1016/S0025-6196(12)65377-6. PMID:2683085.

12. McKenna RW, Kyle RA, Kuehner ME, Gertz MA. Amyloidosis of the thyroid: a clinicopathologic study of 14 cases. Hum Pathol. 1985;16(8):772–778.

doi:10.1016/S0046-8177(85)80209-8. PMID:3896872. 13. Beckmann J. [Ein Fall von Amyloidentartung der Schilddrüse]. Virchows Arch Pathol Anat Physiol Klin Med.1858;13:558–560. German. 14. Vergneault H, Terré A, Buob D, Buffet C, Dumont A, Ardois S, et al. Amyloid Goiter in Familial Mediterranean Fever: Description of 42 Cases from a French Cohort and from Literature Review. J Clin Med. 2021;10(9):1983. doi:10.3390/ jcm10091983. PMID:34063105; PMCID:PMC8125620. 15. Raina V, Sharma SC, Dutta V, Kumar R, Kumar R. Amyloid goiter: a case report. J Assoc Physicians India.1999;47(9):945–947. PMID:10668241. 16. Multiorgan AA amyloidosis with pancreas and parathyroid involvement. Am J Kidney Dis. 2001;38:1234–1241.

17. Keven K, et al. FMF-associated systemic amyloidosis and endocrine involvement. Clin Nephrol. 2006;66:47–53.

18. Pancreatic amyloidosis in diabetes mellitus. Diabetologia. 1998;41:123–130.

19. Strege RJ, et al. Systemic amyloidosis: pancreatic involvement at autopsy. Hum Pathol. 1998;29:1245–1253.

20. [Автори]. Adrenal involvement in systemic amyloidosis. Clin Endocrinol (Oxf). 2005;62:567–573.

21. Clinical manifestations of adrenal amyloidosis. Endocrinol Metab Clin North Am. 1998;27:413–425.

22. Keven K, et al. J Endocrinol Invest. 2010;33:123–130.

23. Testicular involvement in systemic amyloidosis: a case series. Andrology. 2015;3:342–349.

24. Testicular amyloidosis in AL and AA types. J Urol. 2012;187:202–208.

заболяване в международната класификация на болестите през 1948 г.[1]. От тогава до сега дефиницията за затлъстяване и подходите за лечение за променени, като към

момента терапевтичните цели са насочени не само за повлияване на

затлъстяването с оглед тегло и индекс на телесна маса (ИТМ), но също така устойчивото му задържане след

терапията. Според Световната здравна организация (СЗО), затлъстяването се дефинира като „хронично заболяване, с висока болестност както в развитите, така и в развиващите се

страни и засяга както възрастни, така

и деца”[2]. Определението за затлъс -

тяване на СЗО е индекс на телес -

на маса (ИТМ) над 30 кг/м2[3] (Фиг. 1).

Нови публикации показват, че пан -

демията от КОВИД-19 и локдаунът са довели до екзасербация

Доказано е,

затлъстяването се дължи на съвкупност от фактори. От една страна генетични фактори, включващи наследственост и фамилна обремененост, от друга страна - фактори на околната среда като начин на живот, стрес, липса на физическа активност, прием на медикаменти. Генетичните, заедно с факторите на околната среда, определят заедно епигенетичните фактори, които влияят върху телесното тегло.

ПАТОФИЗИОЛОГИЯ НА ЗАТЛЪСТЯВАНЕТО

-

се активират лептин и инсулин, които стимулират POMC/CART невроните и потискат NPY/AgRP невроните, редуцирайки приема на храна[11]. Обратно, при гладуване се покачва нивото на грелин, който активира orexigenic NPY/AgRP неврони и предизвиква глад[12].

ЛЕПТИН И ЛЕПТИНОВА РЕЗИСТЕНТНОСТ Лептинът е ключов хормон, секретиран от адипоцитите, отразяващ мастните резерви.

тентност[14]. Това със -

тояние се определя като неспособност на

високия ендогенен лептин да потисне

апетита и да ускори метаболизма, характерно за обичайното (полигенетично)

затлъстяване[15].

Предложени меха -

на лептин през кръвно-мозъчната бариера[16], понижена чувствителност или брой на лептиновите рецептори (OB-Rb)[17] и потискане на пост-рецепторните сигнали от негативни регулатори като SOCS3 и повишена фосфорилация на Tyr985 на рецептора[18]. Лептиновата резистентност обяснява защо екзогенният лептин е неефективен при лечение на обикновеното затлъстяване – при тези пациенти сигналният път е блокиран[19]. Въпреки това, при редки случаи на вроден лептинов дефицит или мутции в лептиновия ген, при които липсва хормоналният сигнал, прилагането на

лептин (метрелептин) води до драстично намаляване на теглото – демонстрирайки потенциала на пътя при правилни условия[20]

ГРЕЛИН И ДРУГИ ПЕРИФЕРНИ ОРЕКСИГЕННИ

ХОРМОНИ Грелинът е единственият известен периферен

низми за лептиновата резистентност включват дефекти в транспортирането ца пептиди след нахранване, които действат като сигнали за ситост и забавят стомашното изпразване. Най-важни сред тях са GLP-1 (glucagon-like peptide-1, глюкагоно-подобрен пептид 1), GIP (glucose-dependent insulinotropic polypeptide, глюкозо-зависим инсулинотропен полипептид), PYY (peptide YY, пептид YY) и CCK (холецистокинин)[24]. GLP-1 и PYY се секретират от L-клетките в дисталния илеум и дебелото черво в отговор на хранителни вещества. GLP-1 има двойно действие – ендокринно, стимулирайки глюкозо-зависимата инсулинова секреция и потискайки глюкагона (инкретинов ефект), и невроендокринно, чрез рецептори в мозъчния ствол и хипоталамуса, където намалява усещането за глад. GLP-1 забавя и стомашното изпразване, удължавайки ситостта след хранене. GIP, секретиран от K-клетките на тънкото черво, също стимулира инсулинoвата секреция (при наличие на глюкоза), но самостоятелно има по-слабо влияние върху апетита – дори се предполага, че хронично високият

орексигенен (апетит-стимулиращ) хормон, секретиран предимно от стомаха при празен стомах. Той действа върху хипоталамуса (чрез грелиновите рецептори в NPY/AgRP невроните), стимулирайки глада и хранителния прием[21]. Обичайно грелинът се покачва преди хранене и спада след нахранване[22]. Интересно, при затлъстели индивиди базалните нива на грелин често са понижени, вероятно като компенсаторен механизъм, но грелиновият супресион

GIP може да подпомага липогенезата в адипозната тъкан. PYY се освобождава заедно с

GLP-1 и действа върху ядрата на хипоталамуса (чрез Y2-рецептори) за потискане на приема на храна. CCK от червата сигнализира по нервен път (vagus) за ситост в ранния постпрандиален период. При затлъстяването чес -

вен лептин, друг важен адипокин е адипонектинът, който повишава инсулиновата чувствителност и има противовъзпалителни ефекти. При затлъстяване нивата на адипонектин парадоксално спадат, което допринася за инсулинова резистентност. Същевременно хипертрофираните адипоцити и инфилтриращите ги макрофаги секретират провъзпалителни цитокини като тумор некротизиращ фактор алфа (TNF-α) , интерлевкин-6 (IL-6), моноцитен хемоатрактантен протеин-1 (MCP-1), които предизвикват хронично нискостепенно възпаление[26]. Това възпаление нарушава инсулиновото сигнализиране в тъкани като мускул и черен дроб, усилвайки инсулиновата резистентност и склонността към хипергликемия. Освен това, провъзпалителните цитокини могат да

влияят и на централните сигнали за ситост/глад. По този начин висцералното затлъстяване особено е

свързано с проинфламаторна и про -

инсулино-резистентна среда, благоприятстваща развитието на диабет тип 2 и сърдечно-съдови заболявания[27]

В обобщение, патогенезата на затлъстяването включва дисбаланс

между орексигенни и анорексигенни сигнали. На периферно ниво до -

минират повишен лептин (но с резистентност), нисък адипонектин, високи инсулинови нива (хиперинсу-

линемия от инсулинова резистентност), повишени грелин (епизодично)

и GIP, и недостатъчни постпрандиални сигнали за ситост (намален GLP1, PYY). Централно, хипоталамусът не

реагира адекватно на изобилието от

енергия, поради лептинова и инсулинова резистентност и потенциални

на затлъстяването изисква включва стъпаловиден подход, който се състой в дългосрочна терапия, комбинираща промени в начина на живот (хипокалорична диета, физическа активност) с медикаментозна терапия и по индикации – метаболитна хирургия. Терапевтичният подход се определя от ИТМ. Първата стъпка е промяна в начина на живот- спазване на хранителен режим и двигателна активност.

свързани с теглото или абдоминално затлъстяване (увеличена обиколка на талия) и усложнения, свързани с него, когато промените в начина на живот не са довели до поне 10-15% редукция на телесното тегло за период от 3 до 6 месеца[28]. Важен показател за оценка на висцералното затлъстяване и кардиометаболитния риск е коефициентът талия/ръст (WtHR), който е по-чувствителен от ИТМ. При стойности ≥0.5 се отчита повишен риск от захарен диабет тип 2, хипертония, дислипидемия и сърдечно-съдови заболявания, дори при лица с ИТМ в границите на „наднормено тегло“ (25-29.9 кг/м²). При пациенти с WtHR ≥0.5 и наличие на метаболитни или функционални усложнения се препоръчва започване на терапевтична интервенция,

2.8 kg с плацебо[31]. Това отговаря на 63% от пациентите на

Основните нежелани ефекти са гастроинтестинални (гадене при до 20-30%), обикновено леки до умерени. Лираглутид показа също подобрение на гликемичния контрол и отлагане на про

изходното, в сравнение с -2.4% при плацебо. Абсолютната разлика около 12.4

процентни пункта е високодостоверна (p<0.001). Над половината от лекуваните със семаглутид постигат ≥15% загуба

грами е около 15.3 кг

изключение на хирургията)[32]. Профилът на поносимост е сходен с този на Лираглутид – най-често гадене, диария, които при повечето пациенти са леки и отзвучават във времето. Данните показват също подобрения

в кръвното налягане, гликемията и качеството на живот при лекуваните.

МЕХАНИЗЪМ НА ДЕЙСТВИЕ НА GLP-1 РЕЦЕПТОРНИТЕ АГОНИСТИ Ефектът на GLP-1 агонистите върху отслабва -

нето е предимно чрез централно потискане на апетита. Чрез активация на GLP-1 рецептори в хипоталамуса (ядра на солитарния тракт, вентромедиален хипоталамус и др.), те усил -

ват чувството за ситост и намаляват чувството за глад. На периферно ниво, тези агонисти забавят стомашното изпразване, удължавайки интервалите между храненията, и модулират чревно-миелните рефлекси, сигнализиращи за ситост[33]. Освен тегловия ефект, GLP-1 агонистите подобряват и метаболитни

GLP-1 рецепторите са експресирани и в сърдечно-съдовата система, панкреаса и бъбреците, което може да обясни наблюдаваните кардиопротективни и нефропротективни

ефекти на тези медикаменти при пациенти с

диабет (напр. доказано е намаление на сърдечно-съдовите събития с liraglutide и семаглутид в проучвания LEADER и SUSTAIN-6[34,35]

ДВОЙНИ АГОНИСТИ (GLP-1/GIP) И НОВИ КОМБИНИРАНИ ТЕРАПИИ

Най-новият клас антиобезни медикаменти са двойните агонисти, които активират едновременно GLP-1 и GIP рецепторите. Идеята е да се използва синергизма между двата инкретинови пътя за по-голям ефект.

доза (15 mg) довежда близо до ефек-

тите на бариатрична хирургия като

над 90% от

лекуваните достигат ≥5%

загуба, а повече от половината ≥20%

редукция на теглото, срещу едва 3%

от плацебо-групата със ≥20% загу-

ба. Това прави тирзепатид едно от

най-ефективните нехирургични лечения на затлъстяването, регистрирано досега. Страничните ефекти от-

ново са главно гастроинтестинални и

дозозависими – гадене, диария, които са леки до умерени и възникват

предимно по време на титриране на

дозата. Малък дял пациенти прекра -

тяват терапията поради нежелани яв -

ления (около 5-7% при тирзепатид

срещу 2.6% при плацебо)[38]

Механистично, добавянето на

GIP-агонизъм към GLP-1 води до интересно взаимодействие. GIP сам по

себе си има сложен ефект – при хора

с наднормено тегло и инсулинова резистентност сигналът на GIP може

да благоприятства адипогенезата и

да допринася за затлъстяването. В

контекста на комбиниран агонист

обаче, GIP рецепторната стимулация изглежда усилва GLP-1-медиира -

ната ситост и подобрява глюкозния

контрол, без да се проявят отрица -

телни ефекти върху теглото[39]. Пред-

клинични проучвания сочат, че GIP

може да увеличи чувствителността

на мозъчните центрове към лептин, с

което допълнително да подпомогне

отслабването при наличие на лепти -

нова резистентност. Така тирзепатид

вероятно действа чрез множество

пътища: засилено централно потискане на апетита (GLP-1 + GIP синер -

гично), мощен инкретинов ефект

върху панкреаса (водещ до подобрен гликемичен контрол) и потенциално

та β-оксидация

термогенезата)[40] Първите данни за тройния агонист ретатрутид (GLP-1/GIP/глюкагон триагонист) показват обещаваща ефективност – фаза 2 изпитване отчита дозозависима 24-седмична редукция на тегло до 12% (при най-висока доза), като по-дълги проучвания са в ход[41]. Очакванията са, че комбинирането на няколко хормонални пътя може да доведе до над 20-25% загуба на тегло, доближавайки се до резултатите на хирургичното лечение, но с фармакологични средства. ДРУГИ МЕДИКАМЕНТОЗНИ

ПОДХОДИ И ПЕРСОНАЛИЗАЦИЯ НА

ТЕРАПИЯТА

Освен инкретиновите миметици, съществуват

ства за затлъстяване, които засягат ендокринните механизми на апетита:

• Комбинация бупропион/налтрексон – действа централно на ниво хипоталамус (бупропион стиму -

лира POMC невроните, а налтрексон блокира обратната инхибиция

чрез опиоидни рецептори). Резултатът е повишено освобождаване на алфа-MSH и по-силен сигнал за намаляване на апетита. Ефективността е умерена 5-8% средна загуба на тегло в 1-годишни проучвания[42], но при отделни пациенти с изразен хедонистичен глад този комбиниран подход може да

е особено полезен. • Симпатикомиметици (фентермин) и фентермин/топирамат –фентерминът е

лестно затлъстяване (ИТМ ≥35 или ≥30 с придружаващи заболявания). Операции като ръкавна гастректомия или стомашен байпас водят до 25-35% отслабване дългосрочно и могат да ремисират диабет. Интересно е, че част от ефекта на хирургията е ендокринен: след байпас например се наблюдава драматично покачване на постпрандиалните GLP-1 и PYY, както и спад в гре-

лина – което допринася за потискане на апетита и подобрение на метаболизма. По този начин бариатричната хирургия предоставя „доказателство за концепция“ колко мощно влияят хормоналните пътища върху теглорегулацията – знание, което насочва и разработката на бъдещи медикаменти[46]

ЗАКЛЮЧЕНИЕ

Разбирането на ендокринните механизми, участващи в патогенезата на

1. Allison DB, Downey M, Atkinson RL, Billington CJ, Bray GA, Eckel RH, et al. Obesity as a disease: a white paper on evidence and arguments commissioned by the Council of the Obesity Society. Obesity (Silver Spring). 2008;16(6):1161–77.

2. Panuganti KK, Nguyen M, Kshirsagar RK. Obesity. StatPearls. Treasure Island (FL)2025.

3. Bray GA, Heisel WE, Afshin A, Jensen MD, Dietz WH, Long M, et al. The Science of Obesity Management: An Endocrine Society Scientific Statement. Endocr Rev. 2018;39(2):79–132.

4. Mattioli AV, Sciomer S, Cocchi C, Maffei S, Gallina S. Quarantine during COVID-19 outbreak: Changes in diet and physical activity increase the risk of cardiovascular disease. Nutr Metab Cardiovasc Dis. 2020;30(9):1409–17.

5. Pellegrini M, Ponzo V, Rosato R, Scumaci E, Goitre I, Benso A, et al. Changes in Weight and Nutritional Habits in Adults with Obesity during the "Lockdown" Period Caused by the COVID-19 Virus Emergency. Nutrients. 2020;12(7).

6. Divino V, Ramasamy A, Anupindi VR, Eriksen KT, Olsen AH, DeKoven M, et al. Complication-specific direct medical costs by body mass index for 13 obesityrelated complications: a retrospective database study. J Manag Care Spec Pharm. 2021;27(2):210–22.

7. Cawley J, Biener A, Meyerhoefer C, Ding Y, Zvenyach T, Smolarz BG, et al. Direct medical costs of obesity in the United States and the most populous states. J Manag Care Spec Pharm. 2021;27(3):354–

66.

8. Parums DV. Editorial: Global Obesity Rates Continue to Rise with Challenges for New Drug Treatments Including GLP1 Receptor Agonists. Med Sci Monit. 2025;31:e950816.

9. Miller GD. Appetite Regulation: Hormones,

затлъстяването, е ключ към успешно лечение. Хормоните на апетита и метаболизма – лептин, инкретини, грелин, адипокини – оформят сложна регулаторна мрежа, която при затлъстяване е дисбалансирана. Съвременните терапии се стремят да възстановят този баланс: чрез имитиране или усилване на сигналите за ситост (GLP-1 агонисти, двойни агонисти), потискане на гла -

довите стимули и подобряване на инсулиновата чувствителност. Клиничните проучвания демонстрират, че тези нови подходи могат да доведат до значимо и трайно снижаване на теглото – 15-20% и повече, придружено

Peptides, and Neurotransmitters and Their Role in Obesity. Am J Lifestyle Med. 2019;13(6):586–601.

10. Vohra MS, Benchoula K, Serpell CJ, Hwa WE. AgRP/NPY and POMC neurons in the arcuate nucleus and their potential role in treatment of obesity. Eur J Pharmacol. 2022;915:174611.

11. Xin Z, Aiken R. Sorghum, a promising multiple-use crop for dry and hot climates. Planta. 2022;255(4):83.

12. McCarthy OL, Wazwaz O, Jado I, Leurent B, Edwards P, Adada S, et al. An intervention delivered by text message to increase the acceptability of effective contraception among young women in Palestine: study protocol for a randomised controlled trial. Trials. 2017;18(1):454.

13. Lomasney J. Criteria for the classification of hormone receptors with implications for nomenclature. An impossible task? Ann N Y Acad Sci. 1997;812:48–54.

14. Smits JE, Williams TD. Validation of immunotoxicology techniques in passerine chicks exposed to Oil Sands tailings water. Ecotoxicol Environ Saf. 1999;44(1):105–12.

15. Myers MG, Cowley MA, Munzberg H. Mechanisms of leptin action and leptin resistance. Annu Rev Physiol. 2008;70:537–56.

16. Bray GA, Hollander P, Klein S, Kushner R, Levy B, Fitchet M, et al. A 6-month randomized, placebo-controlled, doseranging trial of topiramate for weight loss in obesity. Obes Res. 2003;11(6):722–33.

17. Coates JC, Laplaze L, Haseloff J. Armadillo-related proteins promote lateral root development in Arabidopsis. Proc Natl Acad Sci U S A. 2006;103(5):1621–6.

18. Maeda N, Shimomura I, Kishida K, Nishizawa H, Matsuda M, Nagaretani H, et al. Diet-induced insulin resistance in mice lacking adiponectin/ACRP30. Nat Med. 2002;8(7):731–7.

19. Quetglas S, Iborra C, Sasakawa N, De Haro L, Kumakura K, Sato K, et al. Calmodulin and lipid binding to synaptobrevin regulates calcium-dependent exocytosis. EMBO J. 2002;21(15):3970–9.

20. Barroso I, Gurnell M, Crowley VE, Agostini M, Schwabe JW, Soos MA, et al. Dominant negative mutations in human PPARgamma associated with severe insulin resistance, diabetes mellitus and hypertension. Nature. 1999;402(6764):880–3.

21. Nakazato M, Murakami N, Date Y, Kojima M, Matsuo H, Kangawa K, et al. A role for ghrelin in the central regulation of feeding. Nature. 2001;409(6817):194–8.

22. Cummings DE, Purnell JQ, Frayo RS, Schmidova K, Wisse BE, Weigle DS. A preprandial rise in plasma ghrelin levels suggests a role in meal initiation in humans. Diabetes. 2001;50(8):1714–9.

23. Tschop M, Weyer C, Tataranni PA, Devanarayan V, Ravussin E, Heiman ML. Circulating ghrelin levels are decreased in human obesity. Diabetes. 2001;50(4):707–

9.

24. Nauck MA, Meier JJ. Incretin hormones: Their role in health and disease. Diabetes Obes Metab. 2018;20 Suppl 1:5–21.

25. Angelini G, Russo S, Mingrone G. Incretin hormones, obesity and gut microbiota. Peptides. 2024;178:171216.

26. Cox AJ, West NP, Cripps AW. Obesity, inflammation, and the gut microbiota. Lancet Diabetes Endocrinol. 2015;3(3):207–15.

27. Tchernof A, Despres JP. Pathophysiology of human visceral obesity: an update. Physiol Rev. 2013;93(1):359–404.

28. Busetto L, Dicker D, Fruhbeck G, Halford JCG, Sbraccia P, Yumuk V, et al. A new framework for the diagnosis, staging and management of obesity in adults. Nat Med. 2024;30(9):2395–9.

29. Grunvald E, Shah R, Hernaez R,

Chandar AK, Pickett-Blakely O, Teigen LM, et al. AGA Clinical Practice Guideline on Pharmacological Interventions for Adults With Obesity. Gastroenterology. 2022;163(5):1198–225.

30. Davies MJ, Bergenstal R, Bode B, Kushner RF, Lewin A, Skjoth TV, et al. Efficacy of Liraglutide for Weight Loss Among Patients With Type 2 Diabetes: The SCALE Diabetes Randomized Clinical Trial. JAMA. 2015;314(7):687–99.

31. Pi-Sunyer X, Astrup A, Fujioka K, Greenway F, Halpern A, Krempf M, et al. A Randomized, Controlled Trial of 3.0 mg of Liraglutide in Weight Management. N Engl J Med. 2015;373(1):11–22.

32. Singh A, Singh AK, Singh R, Misra A. Comparative efficacy and safety of semaglutide 2.4 mg and tirzepatide 5-15 mg in obesity with or without type 2 diabetes: A systematic review of Phase 3 clinical trials. Diabetes Metab Syndr. 2025;19(3):103212. 33. Drucker DJ. Mechanisms of Action and Therapeutic Application of Glucagon-like Peptide-1. Cell Metab. 2018;27(4):740–56.

34. Marso SP, Bain SC, Consoli A, Eliaschewitz FG, Jodar E, Leiter LA, et al. Semaglutide and Cardiovascular Outcomes in Patients with Type 2 Diabetes. N Engl J Med. 2016;375(19):1834–44.

35. Marso SP, Daniels GH, Brown-Frandsen K, Kristensen P, Mann JF, Nauck MA, et al. Liraglutide and Cardiovascular Outcomes in Type 2 Diabetes. N Engl J Med. 2016;375(4):311–22.

36. Jastreboff AM, Aronne LJ, Ahmad NN, Wharton S, Connery L, Alves B, et al. Tirzepatide Once Weekly for the Treatment of Obesity. N Engl J Med. 2022;387(3):205–

16.

37. Look M, Dunn JP, Kushner RF, Cao D, Harris C, Gibble TH, et al. Body composition changes during weight reduction with

tirzepatide in the SURMOUNT-1 study of adults with obesity or overweight. Diabetes Obes Metab. 2025;27(5):2720–9.

38. Jastreboff AM, le Roux CW, Stefanski A, Aronne LJ, Halpern B, Wharton S, et al. Tirzepatide for Obesity Treatment and Diabetes Prevention. N Engl J Med. 2025;392(10):958–71.

39. Aronne LJ, Horn DB, le Roux CW, Ho W, Falcon BL, Gomez Valderas E, et al. Tirzepatide as Compared with Semaglutide for the Treatment of Obesity. N Engl J Med. 2025;393(1):26–36.

40. Newsome PN, Ambery P. Incretins (GLP-1 receptor agonists and dual/ triple agonists) and the liver. J Hepatol. 2023;79(6):1557–65.

41. Jastreboff AM, Kaplan LM, Frias JP, Wu Q, Du Y, Gurbuz S, et al. TripleHormone-Receptor Agonist Retatrutide for Obesity - A Phase 2 Trial. N Engl J Med. 2023;389(6):514–26.

42. Naltrexone-Bupropion. LiverTox: Clinical and Research Information on DrugInduced Liver Injury. Bethesda (MD)2012.

43. Lorei NC, Stahlman SL, Oh GT, Wells NY. Weight loss medication prescription prevalence in the active component, 20182023. MSMR. 2024;31(1):9–13.

44. Feng X, Lin Y, Zhuo S, Dong Z, Shao C, Ye J, et al. Treatment of obesity and metabolicassociated fatty liver disease with a diet or orlistat: A randomized controlled trial. Am J Clin Nutr. 2023;117(4):691–700.

45. Ogunsakin AA, Olakunde TI, Fehintola MD, Malmberg I, Olakunde A, Dokun AO. Updates in pharmacotherapy of obesity. J Natl Med Assoc. 2024;116(5):576–87.

46. Shahid Tanweer A, Shaheen MH, Alshamsi BA, Almazrouei MA, Almasri RM, Shahid Tanveer A, et al. Endocrine Dysfunction Following Bariatric Surgery: A Systematic Review of Postoperative Changes in Major Endocrine Hormones. Cureus. 2025;17(1):e77756.

М. Калинкова „Аджибадем Сити Клиник УМБАЛ Токуда“ - София

Ключови думи: Артериална хипертония, затлъстяване, дислипидемия, медикаментозна терапия, метаболитен синдром.

ВЪВЕДЕНИЕ

години.

Въпреки широкото възприемане на

метаболитния синдром, през годи -

ните се формулират различни дефиниции и критерии, създадени от

отделните здравни организации –Световна здравна организация (СЗО)

през 1998 г., Европейската група за

изучаване на инсулиновата резистентност (EGIR) от 1999 г., Национал -

на асоциация за изучаване на холестерола ATP III (NCEP) от 2001 г., Международна диабетна федерация (IDF) от 2005 г. и Американската сърдечна асоциация (AHA/NHLBI)

от 2005 г. Тези дефиниции споделят сходни компоненти, но се различават

по конкретни диагностични изисквания (напр. дали определен фактор

за диагностика на метаболитния синдром според тези препоръки, патофизиологичните връзки между компонентите (инсулинова резистентност, висцерално затлъстяване, възпаление) и съвременните терапевтични стратегии с цел повлияване на компонентите на метаболитния синдром.

КОМПОНЕНТИ И ДИАГНОЗА НА МЕТАБОЛИТНИЯ СИНДРОМ Диагностични критерии: Според хармонизираните критерии (IDF/AHA/ NHLBI, 2009)[2] метаболитен синдром е налице, ако един индивид има най-малко 3 от следните 5 признака: • Централно (абдоминално) затлъс

измерване на талията[4]. AHA/NHLBI не изисква талията задължително да е увеличена[5]

• Атерогенна дислипидемия – триглицериди (TГ): ≥1.7 mmol/L (150 mg/dL) или на терапия за хипертриглицеридемия.

• Атерогенна дислипидемия – HDL холестерол: <1.0 mmol/L (40 mg/ dL) при мъже, <1.3 mmol/L (50 mg/ dL) при жени, или на терапия за нисък HDL.

• Артериална хипертония: систолично налягане ≥130 mmHg и/или диастолично ≥85 mmHg, или прием на антихипертензивна терапия.

За поставяне на диагнозата са достатъчни три или повече от изброените критерии (AHA/NHLBI, 2005)[4,5]. IDF (2005)

предлагат изискването за централно затлъстяване плюс поне два

повишен кардиометаболитен риск. Наличието на метаболитен синдром сигнализира, че

пациентът има коморбидности – най-вече инсулинова резистентност и висцерално затлъстяване – които стоят в основата на отделните компоненти. Въпреки известни спорове за значението на диагнозата метаболитен синдром, на практика той насочва клинициста към цялостен подход: едновременно терапевтично повлияване на теглото, гликемията, липидите и кръвното налягане, вместо лечение на всяко поотделно. От гледна точка на здравната система, около 25% от възрастното население в света отговаря на критериите за метаболитен синдром, което го прави значим проблем. Също тревожна е нарастващата

произтичат вторични нарушения

атерогенна дислипидемия, хипертония и хронично възпаление, които завършват клиничната картина (Фиг. 1).

ИНСУЛИНОВА РЕЗИСТЕНТНОСТ И

ХИПЕРИНСУЛИНЕМИЯ Инсулиновата резистентност – намалената чувствителност на периферните тъкани към действието на инсулина – се счита за основен двигател на метаболитния синдром (както

симпатикусовата

секрецията на

инсулин да спадне и тогава гликемията рязко се повишава, настъпва преддиабет или диабет тип 2 – това е крайната фаза на метабо -

литния синдром, при която хипергликемията

става явна.

Причините за инсулинова резистентност са комплексни. Генетична предиспозиция играе роля – вариации в гени, свързани с инсулиновата сигнализация (IRS-1, PPARγ и др.) се

асоциират с МС. Доминиращо е влиянието на околни фактори: наднормено тегло с абдоминално отложена мастна тъкан

физическа активност[6]. Мастната тъкан, абдоминално отложена (около коремните органи),

това

Тумор-некротизиращият фактор алфа (TNF-α) директно фосфорилира серинови остатъци на инсулиновия рецептор и IRS-1, с което намалява инсулиновия сигнал – допринасяйки за инсулиновата резистентност. Инхибитор на плазминогенния активатор 1 (PAI-1) увеличава протромботичното състояние, свързано с MС[6]

ХИПЕРТОНИЯ

тици, намалявайки отговора

също пречат на инсулиновото действие в мускулите (натрупване на липиди в мускул -

ните клетки нарушава инсулиновия сигнален път). Така "липотоксичността" от излишните мазнини е ключов механизъм за ИР.

ВИСЦЕРАЛНО ЗАТЛЪСТЯВАНЕ И

АДИПОКИНОВА ДИСФУНКЦИЯ Висцералното затлъстяване – увеличената

мастна тъкан в коремната кухина (оментум, мезентериум) – е тясно свързано с метабо -

литния риск. Не само количеството, но и качеството на мастната

и намаляване на HDL-холестерола (HDL частиците обедняват и се изчистват по-бързо). Това обяснява типичния липиден профил: високи TГ, нисък HDL и преобладаване на малки плътни

резистентност (инсулинът губи вазодила -

таторната си функция) и възпаление – на -

малява азотния оксид и засилва съдово съкращение. Всички тези фактори обеди -

нено водят до повишено кръвно налягане, често още при преддиабет.

• Метаболитно-асоциираната чернодробна стеатозна болест (МAFLD): В черния дроб също се наблюдават промени, в резултат на МС. До 70-80% от пациентите с MС имат стеатоза. ИР стимулира чернодробната ли -

погенеза и натрупване на мазнини в хепатоцитите. Възпалителните цитокини от

висцералната мастна тъкан достигат директно черния дроб (чрез порталната цир -

кулация) и могат да предизвикат метаболитно-асоцииран стеатохепатит (МASH). МAFLD от своя страна влошава инсулиновата резистентност – образува се омагьосан кръг[9]. Наличието на MAFLD се счита за чернодробната проява на метаболитния

синдром и е допълнителен рисков маркер

• Хиперурикемия и подагра: Инсулиновата резистентност намалява бъбречната ек-

скреция на пикочна киселина. MC често се

съпровожда от повишена пикочна киселина и риск от подагра.

• Поликистозен овариален синдром (ПКОС):

ПКОС при жените се свързва с ИР и често

срещан MС. Хиперинсулинемията стимулира яйчниците да произвеждат андрогени, което води до клиничните белези на

ПКОС. Обратно, самият ПКОС (чрез андрогенния ексцес) допринася за коремно на -

пълняване и ИР – затваряйки патогенетичния кръг[11]

Mетаболитният синдром има единична патофизиологична основа – предимно инсулинова резистентност и висцералното затлъстяване – от която произтичат редица други усложнения.

СЪВРЕМЕННИ

намалява честотата на диабет с 58% за 3 години при лица с предиабет[13]. Това доказва, че отслабването и физическата активност адресират едновременно инсулиновата резистентност, дислипидемията и хипертонията.

ФАРМАКОТЕРАПИЯ НА ОТДЕЛНИТЕ

КОМПОНЕНТИ

Поради комплексността на MС често се налага медикаментозно повлияване на всяко заболяване поотделно, с оглед намаляване на общия риск: Инсулинова чувствителност се третира на първо място с препарати от гру-

пата на бигванидите, какъвто е Метформин, който подобрява инсулиновата чувствителност в черния дроб (потиска глюконеогенезата) и мускулите, и намалява апетита. При предиабет Метформин редуцира прогресията към диабет с до 31% (в DPP), особено ефикасен при по-млади индивиди с изразено затлъстяване. Обичайно се използва при нарушена гликемия или диабет, но някои препоръки го допускат и при лица с MС и висок риск за диабет. Тиазолидиндионите (напр. пиоглитазон) са PPARγ-агонисти, които значително подобряват инсулиновата чувствителност в периферията чрез модулация на генната експресия в адипоцитите – увеличават подкожното мастно депо за сметка на висцералното, понижават чернодробната стеатоза и възпалението. Клинично пиоглитазон понижава кръвната захар при диабет, повишава леко HDL, но може да покачи теглото (средно ~2-3 kg, поради увеличаване на подкожната мазнина и задръжка на течности)[13]

Ако е налице диабет тип 2, агресивният контрол на кръвната захар е наложителен за намаляване на микросъдови усложнения. Изборът на антидиабетна терапия при пациент с MС се насочва

имат неутрален или благоприятен ефект върху инсулиновата чувствителност в сравнение с бета-блокерите и тиазидните диуретици. АСЕ-инхибиторите (напр. периндоприл, лизиноприл) подобряват ендотелната функция, а ARB (лосартан, телмисартан) – някои имат PPARγ-модулиращи свойства (напр. телмисартан се счита, че подобрява леко инсулиновата чувствителност). При нужда от допълнителни медикаменти се добавят ниски дози тиазидни диуретици (индапамид, хидрохлоротиазид) или калциеви антагонисти; важно е да се контролира и нощното АХ (често изразено при тези пациенти поради симпатикова активност)[4]

Тъй като абдоминалното затлъстя -

мг) са особено подходящи за пациенти с MС, защото подобряват едновременно тегло, гликемия

холестерол.

ния показват, че при лица с предиабет, загубата на 10% тегло води до

възстановяване на нормогликемията при мнозина и предотвратяване на прогресията към диабет. Новият двоен агонист тирзепатид, който постига 15-20% отслабване, също подобрява драстично инсулиновата чувствителност [12]. В някои

1. Reaven GM. Banting lecture 1988. Role of insulin resistance in human disease. Diabetes. 1988;37(12):1595–607.

2. Zhang Z, Pang Y, Shen J, Chen W, Hao C, Lei Z. The new definition of metabolic syndrome including hyperuricemia improves its prognostic value: results from NHANES database. BMC Cardiovasc Disord. 2025;25(1):93.

3. Hyassat D, Al-Refai A, Khader YS, Juweid ME, AlSharaydeh S, Layyous N, et al. Metabolic syndrome among patients with type 2 diabetes in Jordan: A crosssectional study. Medicine (Baltimore). 2024;103(46):e40602.

5. Ma W-Y, Li H-Y, Hung CS, Lin M-S, Chiu F-C, Lin C-H, et al. Metabolic syndrome defined by IDF and AHA/NHLBI correlates better to carotid intima-media thickness than that defined by NCEP ATP III and WHO. Diabetes Research and Clinical Practice. 2009;85(3):335–41.

6. Neeland IJ, Lim S, Tchernof A, Gastaldelli A, Rangaswami J, Ndumele CE, et al. Metabolic syndrome. Nat Rev Dis Primers. 2024;10(1):77.

7. Mukherjee S, Kundu R, Vidakovic M.

4. Alberti KG, Zimmet P, Shaw J. Metabolic syndrome--a new world-wide definition. A Consensus Statement from the International Diabetes Federation. Diabet Med. 2006;23(5):469–80.

Editorial: Metaflammation in obesity and diabetes. Front Endocrinol (Lausanne). 2024;15:1540999.

8. Tsai MK, Kao JT, Wong CS, Liao CT, Lo WC, Chien KL, et al. Cardiovascularkidney-metabolic syndrome and allcause and cardiovascular mortality: A retrospective cohort study. PLoS Med. 2025;22(6):e1004629.

9. Guo Z, Wu D, Mao R, Yao Z, Wu Q, Lv W. Global burden of MAFLD, MAFLD related cirrhosis and MASH related liver cancer from 1990 to 2021. Sci Rep. 2025;15(1):7083.

10. Zhou XD, Zheng MH. Cardiovascularkidney-metabolic syndrome and MASLD:

integrating medical perspectives. Nat Rev Cardiol. 2025.

11. Stanczak NA, Grywalska E, Dudzinska E. The latest reports and treatment methods on polycystic ovary syndrome. Ann Med. 2024;56(1):2357737.

12. Busetto L, Dicker D, Fruhbeck G, Halford JCG, Sbraccia P, Yumuk V, et al. A new framework for the diagnosis, staging and management of obesity in adults. Nat Med. 2024;30(9):2395–9.

13. Knowler WC, Doherty L, Edelstein SL, Bennett PH, Dabelea D, Hoskin M, et al. Long-term effects and effect heterogeneity of lifestyle and metformin interventions on type 2 diabetes

incidence over 21 years in the US Diabetes Prevention Program randomised clinical trial. Lancet Diabetes Endocrinol. 2025;13(6):469–81. 14. Vale C, Lourenco IM, Jordan G, Golovaty I, Torres H, Moin T, et al. Early combination therapy with SGLT2i and GLP-1 RA or dual GIP/GLP-1 RA in type 2 diabetes. Diabetes Obes Metab. 2025;27(2):468–81.

15. Bai J, Jia Z, Chen Y, Li Y, Zheng S, Duan Z. Bariatric Surgery is Effective and Safe for Obese Patients with Compensated Cirrhosis: A Systematic Review and Meta-Analysis. World J Surg. 2022;46(5):1122–33.

зползвани са и се използ -

ват множество синоними:

спастичен колон (колит),

нервен стомах (черво),

мукозна колика, мукозен

колит, сolon irritabile, функционал -

на ентероколонопатия, IBS (Irritable bowel syndrome), синдром на дразни -

мото черво, синдром на раздразне -

ното черво. На български език синд-

ром на дразнимото черво означава

възможността за определен тип ре -

акция, докато синдром на раздраз -

неното черво показва осъществен

резултат от тази възможност. От дру -

га страна наличието на синдром на

дразнимото черво може да се раз -

глежда като потенциално функцио -

нално чревно нарушение в период на ремисия, докото синдром на раздразненото черво черво означава активно болестно нарушение. Английският термин не прави тази разлика.

Синдромът на раздразненото (дразнимото) черво (irritable bowel syndrome, IBS, СРЧ, СДЧ) е хронично, циклично повтарящо се функционално чревно нарушение, което се характеризира с хронична или рецидивираща абдоминална болка или дискомфорт,

структурни промени, обясняващи наличната симптоматика. Според критериите на Rome IV, диагнозата изисква наличие на

се коремна болка поне 1 ден/седмично през последните 3 месеца, която е свързана с 2 или повече от следните оплаквания: 1) подобрение при дефекация; 2) промяна в честотата на изхожданията; 3) промяна в консистенцията на фекалиите.

IBS е в групата функционални нарушения, като в по-новите рамки се нарича – „разстройство на взаимодействието между черво и мозък“ (Disorders of Gut-Brain Interaction).

СРЧ не се свързва с повишено ниво на смъртност. Сред проследени пациенти със СРЧ за 15 години, кумулативната заболяемост от възпалителни чревни болести е 1.8%, а от колоректален карцином (KPK) е 1.2%, като и в двата случая заболяемостта е както при общата популация. Естествено, най-притеснителната

на IBS е

20%. Разделението по подтипове в това проучване показва: около 14% от хората с IBS имат преобладаващ запек, 32% са с преобладаваща диария и 52% са с редуване на запек и диария. Жените са

по-засегнати отколкото мъжете. Описана е връзка със сексуални проблеми, непоносимост към прясно мляко, продължителна употреба на алкохол, някои професии и семейно положение.

ЗНАЧИМОСТ НА ПРОБЛЕМА Наличието на СРЧ снижава качеството на живота на засегнатите. Често изисква много и трудоемки изследвания. Засяга хората

в работоспособна възраст, може да повлияе върху икономиката чрез директни загу-

би от здравни грижи и чрез индиректни за -

губи поради понижената трудоспособност.

Директните разходи се покриват от здравната система чрез прегледи, посещения при лекар, амбулаторна и болнична помощ, разходи за диагностика и лечение, а индиректните разходи

загуби от намалена продуктивност, отсъствие, разходите за път, лекарства и др. Около 60-75% от икономическата тежест на СРЧ са „неосезаеми” разходи – свързани са с влошеното качество на живот в резултат на заболяването. В крайна сметка СРЧ води до значителни разходи за пациента, здравната система и обществото.

Освен това коремната болка става често причина за хирургични интервенции. До холецистектомия се стига при пациенти със СРЧ 3

пъти по-често, отколкото при останалото население. Апендицектомията и хистеректомията са 2 пъти по-чести сред пациентите със СРЧ. Пациентите със СРЧ имат и с 50% повече хирургия на гръбнака.

Новото определение за функционална гастроинтестинална болест отделя значително място на

болка (висцерална свръхчувствителност), про -

мени в чревната имунна защитa (увредена лигавична и имунна функция), промени в чревния микробиом и промени в еферентните и аферентните връзки между червото и мозъка.

В този смисъл новата класификация на функционалните нарушения Rome IV с цел по-добро лечение изисква биопсихосоциален подход. Налице са съображения и се отделя внимание на влиянието на ранния живот (генетика, култура, околна среда), на психосоциалните фактори (стрес, личност, психологично състояние, адаптивност, обществена подкрепа) и на физиологичните промени (мотилитет, усещания, имунна функция, микрофлора, храна, диета).

НОВАТА ІV РЕВИЗИЯ

КЛАСИФИКАЦИЯ

ФУНКЦИОНАЛНИТЕ СТОМАШНО-ЧРЕВНИ НАРУШЕНИЯ ВЪВ ВЗАИМОДЕЙСТВИЕТО МЕЖДУ ЧЕРВО И МОЗЪК (ROME IV) ВКЛЮЧВА СЛЕДНИТЕ ПАТОЛОГИЧНИ ФУНКЦИОНАЛНИ СЪСТОЯНИЯ:

A. Хранопроводни нарушения

B. Гастродуоденални нарушения C. Чревни нарушения D. Централно медиирани нарушения на гастроинтестиналната болка

E. Нарушения на жл. мехур и sphincter Oddi

F. Aноректални нарушения

G. Детски функционални гастроинтестинални нарушения: новородено/малко дете

H. Детски функционални ГИ нарушения: детство/юношество

Точка С включва следните чревни нарушения: C1. Синдром на раздразненото черво (СРЧ)

СРЧ с преобладаващ запек - IBS (C)constipatio

СРЧ с преобладаваща диария - IBS (D)diarrhoea

СРЧ със смесен характер (запек/диария)IBS (M) - mixte

СРЧ – некласифицирана (неуточнена) форма - IBS (U) - unclassified

C2. Функционален запек

C3. Функционална диария

C4. Функционален метеоризъм - функ-

(субективно)/коремно раздуване (обективно)

C5. Неуточнено функционално дебе

ДИАГНОСТИЧНИТЕ КРИТЕРИИ

СЪГЛАСНО ROMEIV ЗА СИНДРОМА

НА ДРАЗНИМОТО (РАЗДРАЗНЕНОТО)

ДЕБЕЛО ЧЕРВО (IRRITABLE BOWEL

SYNDROME – IBS) СА СЛЕДНИТЕ:*

Повтаряща се коремна болка поне 1 ден/седмично в последните 3 месеца, свързана с два или повече критерии от следните:

1. Свързана с дефекацията

2. Свързана с промяна в честотата на дефекацията

3. Свързана с промяна във формата на фекалиите

*Критериите са изпълнени за по -

следните 3 месеца с начален симптом от поне 6 месеца преди поставяне на диагнозата.

Средната честота на СРЧ в све -

та е около 5-10%. Разпределението

по форми (подтипове) изглежда по

следния начин:

• СРЧ (Д) - IBS (D) 40%

• СРЧ (З) - IBS (C) 25%

• СРЧ (См) - IBS (M) 25%

• СРЧ (Н) - IBS (U) 10%

Около 10% от всичките форма на СРЧ са

слединфекциозни (постинфекциозни –PI) – след прекаран остър ентероколит - IBS (PI). След пандемията с COVID-19

установихме, че някои гастроинтестинални форми персистират по-дълго под

формата на IBS (Post COVID-19).

За определяне на подтиповете се из -

ползва известната 7-степенна Брис -

толска скала (Фиг. 1). Тя се базира на

консистенцията и вида на фекалиите:

Тип 1 – отделни твърди бучки (scibala)

– тежък запек

Тип 2 – слепнали топчета – лек запек

Тип 3 – „колбас“ с пропуквания и не -

равности - норма

Тип 4 – гладки, меки, кренвирш-подобни, змиеподобни - норма

Тип 5 – меки топчета с гладки краища – липса на влакнини (фибри)

Тип 6 – кашави, с неравни краища –

диария Тип 7 – течни, без твърди части – тежка диария

ROME IV IBS –

СРЧ-З (IBS-C) - повече от 25% от де -

фекациите по Bristol Stool Scale са

тип 1–2, по-малко от 25% са тип 6–7

» СРЧ-Д (IBS-D) - повече от 25% от дефекациите по Bristol Stool Scale са

тип 6–7, а по-малко от 25% са тип 1–2

» СРЧ-См (IBS-M) - повече от 25% от

дефекациите по Bristol Stool Scale са

тип 1–2 и повече от 25% от дефекациите по Bristol Stool Scale са тип 6–7

» СРЧ-Н (IBS-U) - пациентите са с налични критерии за СРЧ (IBS), но дефекациите не могат да се категоризират в горните подтипове.

Подтиповете на IBS се основават на правилото за >25% oт абнормните дефекации (типове 1, 2 или 6, 7)

» IBS-C типове 1 и 2, не 6 и 7 >25%

» IBS-D типове 6 и 7, не 1 и 2 >25%

» IBS-M типове 1 и 2, и 6 и 7 >25%

» IBS-U липсва тип >25%

EТИОЛОГИЯ И РИСКОВИ ФАКТОРИ Причините за IBS не са напълно изяснени. Смята се, че много фактори влизат в комбинация: 1. Нарушения в оста „черво-мозък“ (ГИ тракт-ЦНС, gut-brain axis) - това включва комуникация между ЦНС, вегетативната нервна

система и ентеричната нервна система, с участие на невротрансмитери, хормони, имунната система и чревни метаболити. Стрес, тревожност и други психологични фактори могат да влияят силно

върху тази ос.

2. Стрес и психо-социални фактористрес, тревожност, депресия, житейски събития, хора с по-лоша психическа устойчивост – всички тези фактори могат да допринесат

3.

Dientamoeba fragilis? 9.

11. Генетика – установено е наследствено

(напр. в серотониновата система, в гените за имунни регулатори), генетична предиспозиция при IBS (C) с мутации в SCN5A

12. Допуска, че пониженото равнище на вит. D е възможно да повлиява 13. Други предразполагащи състояния - хирургични

промени в жлъчните киселини, синдром на малабсорбция. ПАТОФИЗИОЛОГИЯ

храни, променен стомашно-чревен микробиом, преходна инфекция, увреден ендокринен метаболизъм (серотонин), променена невронална пластичност. Всички тези фактори водят до дисрегулация на връзката мозък-черво и увреждат мотилитета на чревния тракт (Фиг. 2).

Оста черво-ЦНС се осъществява от съвместното действие на нервни, хормонални и имунни сигнали между червата и мозъка. При нарушения в тази ос, червото може да реагира по-силно на стимули (болка, разтягане) и да предава тези сигнали към централната нервна система, което усилва болката и дискомфорта.

Висцералната свръхчувствителност се изразява в по-интензивна реакция на рецепторите в червото (механични и химични), а прагът за болка е по-нисък. Тук се включват промени в нервните влакна и в обработката на болковите сигнали.

Мотилитетни нарушения се представят от забавено или ускорено преминаване на чревно съдържимо, неправилни спазми, нарушения в координацията на мускулатурата на червата.

Промените в имунния отговор водят до

нискостепенен възпалителен процес - например след инфекция има наличие на цитокини и имунни клетки в лигавицата, увредена бариера, увеличена пропускливост на червата („leaky gut“).

Дисбиозата и променененият микробиом се състоят от промени в състава, разнообразието и функционалността на чревната микрофлора; нарушения в продуцирането на метаболити (напр. късоверижни мастни киселини), които влияят на лигавицата, нарушена защита и възпаление.

Психосоциалните влияния (стрес, тревожност, депресия) могат да модулират

зък-черво се осъществява по нер -

вен и хуморален път чрез симпати -

кусовите и парасимпатикусовите еферентни пътища, чрез вагусовите и спиналните аферентни пътища, а така също чрез надбъбречните стероидни хормони, медиаторите на възпалението, цитокините и молекулите, отделяни от микробиома на стомашно-чревния тракт.

В патофизиологията на СРЧ играят роля множество психосоциални фактори, психологичното състояние на пациента, немалко храни и лекарства, а също и факторите - серотонин, инфекции, чревен микробиом, хранителна алергия и хипералгезия.

Психосоциалните фактори са от из -

ключителна важност при пациентите със СРЧ, напр. психичен стрес,

предизвикан от:

» Смърт в семейството

» Хирургична операция

» Проблеми в работата

» Финансови проблеми

» Семейни трудности

Всъщност повече от половината па -

циенти (до 60%) със СРЧ (IBS) имат

психиатричен или психологичен про -

блем: депресивен синдром, сома -

тоформни разтройства и афективни

разтройства. Голямата част от тези

пациенти са със соматизация на своя

депресивен синдром под формата на

СРЧ. Често се среща нарушено психо -

логично състояние на пациента, проявяващо се с:

• Тревожност

• Депресия

• Хипохондрия

• Соматизация

В анамнезата на тези пациенти можем да открием малтретиране в дет-

(сексуално и физическо),

• Фруктозо-съдържащи храни, надхвърлящи абсорбтивния капацитет на тънкото черво за фруктоза

• Храни, понижаващи перисталтиката, напр. белтъчни храни

• Лекарства, усилващи перисталтиката, напр. прокинетици, Мetformin, слабителни

• Лекарства, отслабващи перисталтиката, напр. опиати

KОИ СА 10-ТЕ ЖЕЛАНИ И 10-ТЕ

ЗАБРАНЕНИ ХРАНИ ПРИ IBS?

• Добре понасяни храни при IBS са:

– Риба, ориз, черен хляб

– Зелени зеленчуци

– Не-цитрусови плодове, банани

– Кисело мляко, трици

– Тестени изделия, паста (итал.)

• Храни-тригери при IBS са:

– Лютиво, някои цитруси

– Лук, праз

– Шоколад, ядки

– Говеждо, бял хляб

– Прясно мляко, млечни продукти, меко сирене

При пациентите със СРЧ 5-хидрокситриптаминът (серотонин) е ключов невротрансмитер на ентералната нервна система и на оста "мозък-черво", тъй като модулира мотилитет, сензитивност, кръвен ток и секреция в червото.

При случаите със СРЧ след инфекциозен гастроентероколит отключващи фактори са бактериалното възпаление, промяната в коменсалната флора и хранителни антигени. Релативният риск за развитие на СРЧ след инфекциозен гастроентерит е средно 12%.

Doxycyclin, Rifaximin или Neomycin при приблизително 50% (Pimentel M, Am J Gastroenterol 2009;95). Терапевтичен опит с пробиотик Lactobacillus plantarum Nobaek S. (Am J Gastroenterol 2010;95) доказва редукция на газ-образуващите чревни бактерии, подобрение на коремната болка и раздуването на корема. Търсен е и биомаркер за IBS (D) в проучването TARGET-3, в което 2375 пациенти с IBS (D) са лекувани с Rifaximin. Установени са антитела срещу Cytolethal distending toxin B (CdtB) и vinculin. CdtB се произвеждат от Gram-негативни бактерии, вкл. Е. coli, Shigela dysenteriae, Salmonela enteritidis, Campylobacter jejuni. Vinculin е клетъчно-адхезионен протеин, а при плъхове антителата срещу CdtB реагират кръстосано с винку

хиперсензитивност: установявани са IgG4 ан -

титела към антигени на пшеница, свинско, говеждо, агнешко месо. При тази група пациенти със СРЧ благоприятен ефект могат да имат

елиминационни и хипоалергични диети, както и лечение с Cromoglicat Na.

Хипералгезията на дебелото черво е отличителна характеристика на пациентите със СРЧ – те получават ранна и по-изразена болка при раздуване на топка, поставена в ректума, в сравнение със здрави.

Обобщено в патофизиология на СРЧ участват: нарушена връзка черво-мозък (основно), променен мотилитет, променена секреция, хипералгезия, характерни промени за сензомоторна болест, висцерална хиперсензитивност, постинфекциозни промени (IBS-PI у 10% от пациентите след остър гастроентероколит), нарушена бариерна лигавична функция, имунна активация, промени в цитокини, интерлевкини, имуноглобулини, променен микробиом, хранителни тригери, генетична предиспозиция, нарушения в ЦНС и ентералната

нервна система, увреден 5-хидрокситриптаминов сигнален път.

КЛИНИЧНА ИЗЯВА НА СРЧ Основната симптоматика включва:

• Хронична/рецидивираща коремна болка или дискомфорт

• Промяна в честотата на изхожданията (от диария до запек)

• Промяна в консистенцията на изхожданията (твърди, кашави, редки, водни)

• Усещане за подуване на корема и газове, променена дефекация (усещане за непълно изпразване), спешност при дефекация

Симптоматиката е обикновено рецидивираща с периоди на обостряне и на относително подобрение, като често се открива екстраинтестинална симптоматика (умора, нарушен сън, болки в гърба, уринарни оплаквания, възможно

СЕ ОПРЕДЕЛЯТ СПОРЕД ДОМИНИРАЩАТА ОСОБЕНОСТ НА ИЗХОЖДАНИЯТА:

1. IBS-C – констипация-доминантен тип (т.е. трудно изхождане, с твърди или на бучки изпражнения ≥25% от времето и меки/водни <25%)

2. IBS-D – диария-доминантен тип (много меки/водни изпражнения ≥25%, твърдите <25%)

3. IBS-M (mixed) – редуване на запек и диария (твърди ≥25% и меки ≥25%)

4. IBS-U (unsubtyped, unclassified) – когато не се покриват критериите за другите подтипове

Симптоматиката при СРЧ зависи от подтипа и е обикновено хронично-рецидивираща, като включва абдоминална болка, нарушена чревна функция, чести позиви за дефекация, раздуване на корема, усещане за непълно изхождане. СРЧ включва функционални нарушения, протичащи с коремна болка, променена дефекация (диария и/или запек), подуване на корема при липса на структурни (напр. IBD) или биохимични абнормалитети (напр. лактазен дефицит), които да обяснят състоянието.

ПРИ СРЧ ЧЕСТО МОГАТ ДА СА НАЛИЦЕ И СИМПТОМИ ИЗВЪН СТОМАШНО-ЧРЕВНИЯ

ТРАКТ:

• Болка в гърба, фибромиалгия, главоболие

• Дразним пикочен мехур, никтурия, полакиурия

• Нарушения в съня, хипохондрия

• Дисгеузия, халитоза

• Диспареуния, дисменорея, предменструален синдром

• Хронична умора СЪЩЕСТВУВАТ СИМПТОМИ,

рия преди изпит по вътрешни болести)

ОПИСАНИ СА И СИМПТОМИ, КОИТО

ГОВОРЯТ ПРОТИВ ДИАГНОЗАТА СРЧ:

o Начало след 50-годишна възраст

o Устойчиво прогресиращ ход

o Често събуждане от симптомите

o Фебрилитет

o Стеаторея

o Дехидратация

IBS повлиява отрицателно различни физиологични функции – емоционална сфера, сън, двигателна активност, интелектуална и социална активност, сексуален живот и др.

ИЗВЕСТНИ СА И АЛАРМИРАЩИТЕ

СИМПТОМИ, КОИТО НАСОЧВАТ КЪМ

ОРГАНИЧНА ИЛИ НЕОПЛАСТИЧНА

БОЛЕСТ И ЗАДЪЛЖИТЕЛНО

ИЗИСКВАТ КОЛОНОСКОПИЯ:

• Хематохезия

• Анемия

• Загуба на тегло

• Императивна нощна диария

• Пациенти над 45-50 години

• Фамилна анамнеза за КРК

• Палпаторна коремна находка

ДИАГНОЗА

Диагнозата е предимно клинична и се основава на Rome ІV критерии със

задължително изключване на алармиращи симптоми и на симптоматика, която насочва към другo заболяване. Продължителността на симптоматиката трябва да е от поне

3 месеца (с начало поне 6 месеца

преди поставянето на диагнозата), с

други думи изисква се наблюдение

на пациента за известно време и из -

ключване на инцидентни нарушения.

Ако симптоматиката е типична, без алармиращи симптоми, без признаци за инфекция или други заболя -

не се изискват много изслед-

Но при

могат да се направят: • Кръвни изследвания: кръвна картина, електролити, Т4/TSH, основни биохимични параметри, глюкоза, възпалителни маркери (СУЕ, CRP)

• Изследване за целиакия при IBS-D

или IBS-М (смесен тип), особено ако има фамилна обремененост или други насочващи симптоми

• Фекални проби – фекален калпротектин, микробиологична култура, изследване за паразити

• Колоноскопия при алармиираща симптоматика, фамилна обремененост за КРК или възраст над 4550 години

СРЧ е функционален синдром с не много ясно очертани граници. За диагнозата са от значение добре снетите анамнеза и статус, допълнителните клинико-лабораторни изследвания (най-често кръвна картина, CRP, фекален калпротектин) и колоноскопия при необходимост. Най-важно е наличието на характерни симптоми, при липса на друго клинично обяснение. В днешно време във връзка с широкото разпространение

повишаващия се размер на изразходваните за него средства, съществува стремеж, диагнозата да се поставя въз основа на по-малък брой изследвания. Под натиска и на здравно-осигурителните фондове има тенденция за поставяне на позитивна диагноза, свързана с определението и покриваща наличната симптоматика.

ДИАГНОЗАТА СЕ ОСНОВАВА НА:

• Наличие на съответна симптоматика, покриваща критериите за IBS (Roma IV)

• Субтипизиране на формата на IBS

– D, C, M, U, PI

• Липса на друго клинично обяснение на наличната клинична симптоматика

• Кръвна картина, СУЕ, CRP, чернод-

миназни антитела

• Абдоминална ехография

• Ендоскопия с биопсия

• Водороден дихателен тест (за фруктозна и лактозна малабсорбция) Най-бързият тест за разграничава -

те Римски критерии за функционални стомашно-чревни нарушения

то чревно нарушение СРЧ са: • Повтаряща се коремна

оризъм и болка, която се облекчава или влошава при дефекация, са характерни особености, подкрепящи диагнозата СРЧ.

С оглед нарастващия ръст на неопластичните болести и в частност на КРК, за да се постави диагнозата СРЧ, е задължително да се изключат следните алармиращи фактори и симптоми:

• Над 45-50 години, без предишен скрининг за КРК и наличие на суспектни симптоми

• Внезапно начало на симптомите над 45-50 години

• Скорошна промяна в ритъма на дефекация при хора над 45-50 години

• Cтомашно-чревно кървене

• Нощна болка или нощни позиви за дефекация

• Неясна загуба на телесно тегло

• Фамилна обремененост за КРК, IBD и глу-

тенова ентеропатия

• Палпираща се коремна формация или лимфаденопатия

• Желязодефицитна анемия

• Хематохезия (ясна кръв във фекалиите),

ректорагия

• Oкултно кървене

Всички тези случаи подлежат на щателно изследване и задължителна ендоскопия (колоноскопия ± гастроскопия).

С оглед по-бърза диагностика, някои автори смятат, че провеждането на серия от тестове при всички пациенти с предполагаема диагноза СРЧ, не e препоръчително. При пациентите под 50-годишна възраст вероятността за органично заболяване е много малка (Moayyedi P et al. Un Eur Gastro Jour 2017;5(6):773–788). Предпочитаният минимум

изследвания в този смисъл са:

• Кръвна картина (за анемия или левкоцитоза)

• Глюкоза (изключване на захарен диабет) • СRP, ФКП при диария (за изключване на IBD)

• Копрокултура

клинично изследване и добра преценка за всички допълнителни диагностични методи – лабораторни, образни, морфологични и др. Най-честите възможни диагностични тези, чието изключване или доказване е необхо -

димо са:

ХРАНИТЕЛНИ НАРУШЕНИЯ

• Хранителна алергия

• Глутенова ентеропатия

• Нецелиачна глутенова чувствителност

• Непоносимост (водороден дихателен тест):

– Лактозна (лактазен дефицит)

Фруктозна малабсорбция

Сорбитол

ЗА ОТБЕЛЯЗВАНЕ

СРЕЩА ПРИ 0.5-1% ОТ НАСЕЛЕНИЕТО И ПРИ 4-5% ОТ ПАЦИЕНТИТЕ, ПОКРИВАЩИ

СРЧ.

Лактозната непоносимост най-често се дължи на лактазен дефицит, води до диария и се среща широко почти навсякъде сред възрастни:

» САЩ (бели) - 10-20%

» САЩ (азиатци) – 75%

» САЩ (афроамериканци) – 95%

» Финландия – 10%

» Италия и Испания – 50-75%

» Китай и Мексико – 75%

» Тайланд - 98%

» Индия - 50-100%

» България – над 50%

Фруктозната непоносимост се среща често и може да се прояви с диария:

• Фруктозата често се добавя в безалкохол

сладолед и плодове (круши, сливи, конфитюр, ябълков сок)

ДД – хистамин, мастоцити

• Системна мастоцитоза

• Синдром на активация на мастоцитите

• Синдром на хистаминова непоносимост

ДД – неоплазии

• Колоректален карцином

• Ca ovarii (СА 125)

• Невроендокринни тумори

ДД – възпаление

• IBD (колоноскопия с биопсия, ФКП)

• Микроскопски колит (колоноскопия с биопсия)

• Еозинофилен колит (колоноскопия с биопсия)

ДД – инфекции – микробиология, серология

• Salmonella, Shigella, Yersinia enterocolitica, Campylobacter jejuni

• Clostridium difficile

• Norovirus, HIV

• Giardia, Entamoeba hist.

• IBS (PI)

ДД – микробиом

• Дисбактериоза

• Синдром на ТЧБС

ДД – болести на транзита

• Хронична идиопатична констипация (функционална констипация) –запек без болка

• Хронична интестинална псевдообструкция, синдром на Ogilvie

ДД- метаболитни болести

• Захарен диабет (вегетопатия)

• Хипертиреоидизъм

• Porphyria

ДД – ятрогенни

• Антидепресанти, НСПВС, опиати, калциеви антагонисти (запек)

• Метформин, химиотерапия, антибиотици, Mg, SSRI (диария)

Много лекарства предизвикват за -

пек – опиати, НСПВС, трициклични антидепресанти, антипаркинсонови, железни препарати, антихипер -

тензивни, антихистамини. Над 700 лекарства предизвикват диария като страничен ефект – Metformin, Акарбоза, ИПП, H2RA, Misoprostol, Colchicine, антибиотици, ХТ и таргетна терапия, УДХК, Mesalazine, тиреоидни хормони, сулфанилурея, Mg-съдържащи, Digoxin, Orlistat, АСЕ-инхибитори, селективни инхибитори на обратното захващане на серотонина (SSRI). Необходимо е да се уточняват приеманите лекарства по друг повод.

ДД – други

• Дивертикулоза, дивертикулит

• Интестинална исхемия

• Хологенна диария

• Депресивен синдром (NB!)

ЛЕЧЕНИЕ НА СРЧ

Лечението е индивидуално, насочено към доминиращите симптоми (болка, диария, запек, подуване на корема), с комбиниран подход: не -

медикаментозен + медикаментозен + психологичен (според нуждите).

Немедикаментозните мерки включват:

• Обучение на пациента и обяснение на състоянието – симптомите са реални, но не се дължат на

опасно органично заболяване. Това помага за намаляване на тре -

вожността.

• Диета:

o Увеличаване на разтворимите влакнини (например псилиум) ако подтипът е със запек

o Избягване на неразтворими

влакна, които могат да влошат симптомите. o Диета с ниски FODMAP за намаляване на газообразуване, подуване, болка o Индивидално ограничаване на

3-5 дни сед

мично. Общите мерки са изключително ва

жни. Необходима е добра връзка лекар-пациент, при която се изяснява конкретната патогенеза, наличието на стрес, емоции, условия на работното място, семейство, евентуално страхове, депресия, соматизация. Търсят се специфични тригер фактори, прави се оценка на екстраинтестиналните

риск за стимулиране на ТЧБС

• Прием на богата с фибри храна, особено при формата с констипация

• Отказ от употреба на мазни, пържени, лютиви и пикантни храни

• Спира се употребата на кафе и алкохол (или силно се ограничава)

• Стремеж за намаляване на стреса и воде -

• Балнеолечение

• Излети сред природата, културен туризъм

• Създаване на хоби

Диетата е най-добре да бъде индивидуализирана, с водене на хранителен дневник. Из -

полват се следните диети:

• FODMAP диета

• Безглутенова диета

• Диета с понижено съдължание на мазнини

• Диета с фибри

• Ограничаване на фруктозосъдържащите

храни

• Персонализирана диета (диетолог)

В храната се препоръчват храни с влакнини (фибри). Някои автори са наблюдавали подобрение в симптоматиката на IBS при безглутенова диета, но данните са несигурни. Много автори отбелязват подобрение при диетата с ограничаване или изключване на FODMAP-храните.

ВСЪЩНОСТ FODMAP-ДИЕТАТА ИЗКЛЮЧВА ОТ МЕНЮТО СЛЕДНИТЕ ХРАНИ:

• F – Fermentable (ферментиращи)

• O – Oligosaccharides (олигозахариди, напр. инулин)

• D – Disaccharides (дизахариди, напр. лактоза, захароза)

• M – Monosaccharides (монозахариди, напр. фруктоза, глюкоза)

• A – and

• P – Polyols (полиоли, напр. сорбитол)

Храните, които съдържат FODMAP и трябва да се отстранят от диетата са: • Плодове – ябълки, кайсии, череши, круши,

диня, сушени плодове

• Зеленчуци – аспержи, броколи, зеле, чесън, гъби, лук, патладжан

• Зърнени храни – пшеница и ръж (в големи количества), паста, курабии, бисквити

• Млечни продукти – краве мляко, яйчен

крем, сладолед, меко сирене

• Подсладители – сорбитол, манитол, фруктоза, мед, зърнен сироп, изомалтулоза

• Други – леща, соя, боб, грах

При спазване на FODMAP диетата, подхо -

дящи храни са:

• Плодове – банани, боровинки, малини, грейпфрут, лимони

• Зеленчуци – моркови, целина, зелен боб, картофи, тиквички, тиква

• Зърнени храни – ориз, овес, качамак, безглутенов хляб, тапиока

• Млечни продукти – кисело мляко, твърдо сирене, кашкавал

• Други – тофу, захар, кленов сироп Добавят се медикаментозни фибриMucofalk, Transilane, HUSK, Psylium.

Психотерапията е изключително важна и се използват следните методи:

• Поведенческо лечение

• Релаксационни техники

• Хипнотерапия

• Психологични интервенции

Медикаментозното лечение зависи от подтипа (IBS-C, IBS-D, IBS-M) и от тежестта на симптомите:

• За IBS-C (с преобладаващ запек):

o Осмотични лаксативи (напр. полиетиленгликол)

o Пробиотици (с Bifidobacterium lactis)

o Секретагога, като Linaclotide, Lubiprostone

• За IBS-D (с преобладаваща диария):

o Aнтидиарийни лекарства (Loperamidе)

o Cпазмолитици (за контрол на болка и спазми)

o Rifaximin (особено при диария и подуване)

o Пробиотици (Lactobacillus, Saccharomyces boulardii)

o Alosetron – в някои случаи, ако симпто -

добър ефект.

o Симптоматично – спазмолитици

при болка

o При диария → Loperamidе при

нужда

o При запек → фибри/лаксативи

o Пробиотици

o Психологична подкрепа – когнитивно-поведенческа терапия, редуциране на стреса.

За болка/общи симптоми:

o Спазмолитици

o Ниски дози трициклични анти -

депресанти – за тези случаи с

по-голяма болка/чувствител -

ност; освен болката те могат да

повлияят и скоростта на чревен транзит.

o SSRI (инхибитори на обратното

захващане на серотонина) са с

по-слаба или условна препоръ -

ка, поради непостоянни резултати; може да се използват когато има съпътстващи депресия и тревожност.

Общи мерки (за всички подтипове)

o Образование на пациента – IBS е хронично, но доброкачествено

състояние

o Редовен режим на хранене и сън

o Физическа активност – поне 30 мин. ходене дневно o При тежки случаи – обсъждане на антидепресанти (SSRI, ниски

дози трициклични антидепресанти).

Наскоро Американската гастроентерологична асоциация (AGA) издаде насоки, които предлагат стъпко -

ва стратегия - с първична насока към промени в начина на живот и диетата, след това към медикаменти според подтипа. При IBS-C, първо се препоръчват

антидепресанти:

o Amitriptyline

o Desipramine

• Инхибитори на обратното захващане на серотонина:

o Paroxetine

o Sertraline

o Citalopram

Има позитивен опит с приложение на антибиотици, които намаляват бактериалния натиск върху чревната лигавица, по-специално с приложение на Rifaximin при IBS-D.

При случаите с диария, а именно IBS (D) и IBS (М), намират приложение следните медикаменти:

• Oпиоидни агонисти (Loperamide)

• Racecadotril (инхибитор на енкефалиназата)

• Препарати, съдържащи Bismut и танин

• Eluxadoline (Truberzi) - μ- и k-oпиоид рецепторен агонист и δ-oпиоид рецепторен антагонист

• Жлъчни секвестранти (смоли)Сholestyramine, Сolestipol

• Антибиотици (хинолони, Rifaximin, Metrоnidazole)

• Пробиотици

• 5-хидрокситриптамин-3 антагонисти (забавят чревния пасаж):

o Оndansetron

o Alosetron

o Ramosetron

В метаанализ от 2019 г. на Will Boggs в Gut, включващ 10 рандомизирани клинични студии, Alosetron и Ramosetron бяха обявени за най-доброто лечение при IBS (D)/IBS (М) в дози Alosetron 2x1 mg (повишава фекалната консистенция) и Ramosetron

Псилиум (широколист живовляк, хуск)

• Elaxa (зърнастец + артишок + Lactobacillus)

• Stomachon pro lax (псилиум, зърнастец, слез + пробиотици)

• Макрогол (mолиетиленгликол, Dulcosoft)

• Duphalac, Lactulose

• Фибри

• Усилващи секрецията – Linaclotide, Lubiprostone

• 5-хидрокситриптамин-4 рецепторен агонист – Prucalopride (Enylys)

• Жлъчни соли – урзодезоксихолева киселина (Ursofalk, Choludexan) За повлияване на метеоризма широко

менти:

• Pancreatin (Kreon, Panzitrate, Mezym, Pangrol)

• Simeticone

• Psyllium

Коремната болка е основен симптом при

• Mebeverine (Duspatalin)

• Trimebutine maleate (Tributin)

• Оtilonium bromide (Spasmomen)

• Drotaverine hydrochloride (Nospa)

• Ментово масло

Iberogast cъдържа

дебелото черво се наблюдава прокинетичен ефект чрез деполяризация на гладката мускулатура и спазмолитичен ефект чрез инхибиране на мускулния тонус. В крайна сметка се постига ефект върху висцералната свръхчувствителност при IBS пациентите с намаляване на нервната чувствителност и с антиноцицептивен ефект, допринасящи за редукция на коремната болка.

В лечебния комплекс се използват още Иритаколин, Colien и постбиотици (Butaren, Intesta, Butirin, Bibiotic), пробиотици. При метеоризъм и раздут корем се прилагат диетични мерки, Simeticon, Kreon, Iberogast, Sanohepatic, пробиотици, антидепресанти при нужда.

ПРОБИОТИЦИ Няма категорични данни в полза на лечение с пробиотици, фекална микробиотична трансплантация, противовъзпалителна терапия с 5-аминосалицилати, глюкокортикоиди и хистамин1-рецепторни антагонисти. При случаи с диария временно се използва Saccharomyces boulardi.

Съществуват проучвания, който насочват към благоприятно трайно повлияване на СРЧ от приложение на пробиотици, съдържащи:

• Saccharomyces boulardii

• Bifidobacterium lactis

• Lactobacillus acidophilus

• Bifidobacterium lactis

• Bifidobacterium infantis

• Lactobacillus plantarum

Относно ефекта на съответните пробиотици от важно значение са и щамовите разновидности.

Пробиотици при СРЧ (Д) – IBS (D) Saccharomyces boulardii е подходящ в тези

оказва съдействие на Saccharomyces boulardii. Pediococcus acidilactici СЕСТ

7483, Lactobacillus plantarum CECT

7484 и Lactobacillus plantarum CECT

7485 са показали благоприятен ефект в клинични проучвания при пациенти с IBS (D).

Пробиотици при СРЧ (З) – IBS (C)

При формите на IBS (C), протичащи със запек, помощ оказват пробиотиците, съдържащи щамове от Bifidobacterium lactis. Най-проучван е щамът Bifidobacterium lactis BB-12. В много проучвания е доказано, че Bifidobacterium lactis съдейства при констипация, води до нормализиране на дефекационния ритъм, на лекотата

изхождане

чревното

сляп, рандомизиран

контролиран опит при 100 жени с тенденция към обстипация, приемащи Bifidobacterium lactis BB-12 и пребиотици, показва съкратен чревен транзит с 41% у пробиотичната група

понижението на чревното транзитно време е само с 14%. Това би подсигурило на приемащите Bifidobacterium lactis редовна дефекация.

Пробиотици при СРЧ (См) – IBS (М)

При пациентите с алтерниращи диария и запек са проучвани много пробиотици. Lactobacillus acidophilus NCFM и Bifidobacterium lactis Bi-07 са показали благоприятно редуциране

на коремното подуване и разтягане. В комбинация или самостоятелно, те са

L. plantarum CECT 7527, L. plantarum CECT 7528

L. plantarum CECT 7529

Британската Национална здравна служба (National Health Service) предпазливо

NICE (National Institute for Health and Clinical Excellence)

Moayyedi et

публикуван

че пробиотиците са ефективни при лечението

При СРЧ от неясен подтип, най-често се използва Bifidobacterium lactis HN019, който помага в овладяването на: коремния дискомфорт, метеоризма, подуването на корема, забавената перисталтика или течните фекалии, нередовната дефекация.

ПРИ РАЗЛИЧНИТЕ ПОДВИДОВЕ

НА СРЧ НАЙ-ЧЕСТО СЕ ИЗПОЛЗВАТ СЛЕДНИТЕ ПРОБИОТИЦИ:

- При СРЧ (Д) – IBS (D)Saccharomyces boulardii

- При СРЧ (З) – IBS (C)Bifidobacterium lactis BB-12

- При СРЧ (См) - IBS (М)Bifidobacterium lactis HN019

- При СРЧ (Н) – IBS (U)Bifidobacterium lactis HN019

Полезните пробиотични бактерии се съдържат в някои храни, в киселото мляко и в специалните хранителни добавки,

Saccharomyces boulardii

Bifidobacterium lactis

Lactobacterium acidophilus NCFM

Bifidobacterium infantis 35624

Bifidobacterium lactis HN019

Lactobacilus plantarum Lp299v

ограничения: o

FODMAP диета o Ограничаване на прясно мляко и млечни продукти при непоносимост

o Избягване на пържено, лютиво, пикантно, газирани напитки, кофеин и алкохол

o Фибри: при IBS със запек – разтворими (псилиум, овесени трици), не груби (трици от пшеница)

o Редовно хранене, без пропускане на хранения

o Управление на стреса – психотерапия, медитация, спорт.

Медикаментозното лечение се назначава според подтипа:

o Коремна болка и спазми

o Мебеверин (Duspatalin)

o Отилониев бромид (Spasmomen)

o Пинавериум бромид (Dicetel).

• Запек (IBS-C)

o Лактулоза, макрогол (Dulcosoft).

o Фибри (псилиум).

o В по-тежки случаи – Prucalopride (Enylys)

• Диария (IBS-D)

o Лоперамид (Imodium).

o Рифаксимин – за модулиране на чревната флора при диарийна форма.

• Смесен тип (IBS-M)

o Симптоматично

(Lactobacillus, Bifidobacterium)

избягване

умерено количество влакнини (особено разтворими), ограничаване на FODMAP при нужда.

• Редовна физическа активност.

• Управление на стреса, тревожност, психична устойчивост – медитация, терапия, когнитивно-поведенчески техники.

• Добър режим на сън.

• Избягване на екстремални диети, нередовни хранения, прекомерен прием на мазнини, кофеин, алкохол и газообразуващи храни (когато те са тригери).

ПРОГНОЗА IBS не повишава риска от смърт, не води директно до рак

Intesta®

Gastroenterology Rev 2022; 17 (1): 28–34 DOI: https://doi.org/10.5114/pg.2021.112681

Microencapsulatedsodiumbutyrateadministered topatientswithdiverticulosisdecreasesincidence ofdiverticulitis aprospectiverandomizedstudy LukaszKrokowicz ZoranStojcev

IntJColorectalDis(2014)29:387–393 DOI10.1007/s00384-013-1807-5

Abstract Background Microencapsulatedsodiumbutyrate(MSB)

IntJColorectalDis(2014)29:387–393 DOI10.1007/s00384-013-1807-5

Microencapsulatedsodiumbutyrateadministered topatientswithdiverticulosisdecreasesincidence ofdiverticulitis aprospectiverandomizedstudy LukaszKrokowicz ZoranStojcev BartoszFilipKaczmarek WojciechKociemba & ElżbietaKaczmarek & JaroslawWalkowiak & PiotrKrokowicz MichalDrews TomaszBanasiewicz

ORIGINALARTICLE

Accepted:20November2013/Publishedonline:18December2013 # TheAuthor(s)2013.ThisarticleispublishedwithopenaccessatSpringerlink.com

Microencapsulatedsodiumbutyrateadministered topatientswithdiverticulosisdecreasesincidence ofdiverticulitis aprospectiverandomizedstudy

Abstract Background Microencapsulatedsodiumbutyrate(MSB) hasbeenpreviouslyassociatedwithanti-inflammatoryand regenerativepropertiesregardinglargebowelmucosa.We aimedtoexaminearoleofMSBinpatientswithdiverticulosis,

LukaszKrokowicz & ZoranStojcev & BartoszFilipKaczmarek & WojciechKociemba ElżbietaKaczmarek JaroslawWalkowiak

thenumberofepisodesofdiverticulitis(symptomaticdiagnosiswithacutepain,fever,andleukocytosis),hospitalizations,andsurgeryperformedfordiverticulitiswererecorded. Additionally,aquestionregardingsubjectiveimprovement ofsymptomsreflectedchangesinqualityoflifeduringthe

внимателен подход, достатъч-

с

личния им и социален живот, променя жизнените им планове, консумира време, средства и енергия. Благодарение на съществуващата

пациенти получават необходимотo вниманиe, диагностика, консултации,

1.

2. Häuser W, Türp JC, Lempa M, Wesselmann U., Derra C.. Functional somatic pain syndromes-nomenclature. Schmerz. 2004 Jun;18(2):98-103.

3. Sperber AD, Bangdiwala SI, Drossman DA, et al. Worldwide prevalence and burden of functional gastrointestinal disorders, results of Rome foundation global study. Gastroenterology 2021;160:99–114.

5. Thompson WG, Longstreth G, Drossman DA, et al. Functional bowel disorders and functional abdominal pain.

In: Drossman DA, Corazziari E, Talley NJ, Thompson WG, Whitehead W, editors. Rome II The functional gastrointestinal disorders. McLean, VA, USA: Degnon Associates, 2000: 351-432.

6. Lacy BE, Mearin F, Chang L, et al. Bowel disorders. Gastroenterology 2016;150:1393–1407.

7. Lackner JM, Gudleski GD, Ma CX, et al. Fear of GI symptoms has an important impact on quality of life in patients with moderate-to-severe IBS. Am J

4. Lacy BE, Pimentel M, Brenner DM, et al. ACG clinical guideline: management of irritable bowel syndrome. Am J Gastroenterol 2021;116:17–44.

Gastroenterol 2014; 109:1815–1823. 8. 9. Khlevner J, Park Y, Margolis KG. Braingut axis: clinical implications. Gastroenterol Clin North Am 2018;47:727–739.

9. Lacy BE, et al. Bowel Disorders. Gastroenterology. 2016;150:13931407; Rome IV Diagnostic Criteria for Functional Gastrointestinal Disorders

10. Max J Schmulson, Douglas A Drossman. What Is New in Rome IV. Journal of Neurogastroenterology and Motility 2017;23:151~163

11.

12. Kirsch, Riddel; Modern Pathol 2006;19. Drossman DA. Review article: an

integrated approach to the irritable bowel syndrome. Aliment Pharmacol Ther 1999; 13 (Suppl. 2): 3-14.

13. Heaton KW, Thompson WG. Diagnosis.

In: Fast Facts. Irritable bowel syndrome. Health Press Limited 1999; 24-34.

14. Ford AC, Sperber AD, Corsetti M, Camilleri M. Irritable bowel syndrome. Lancet. 2020 Nov 21;396(10263):1675-1688.

15. Paterson WG, Thompson WG, Vanner SJ et al. Recommendations for the management of irritable bowel syndrome in family practice. CMAJ 1999; 161: 154-60.

16. Krouwel M, Farley A, Greenfield S, et al. Systematic review, meta-analysis with subgroup analysis of hypnotherapy for irritable bowel syndrome, effect of

intervention characteristics. Complement Ther Med 2021;57:102672.

17. Allescher HD, Burgell R, Malfertheiner P, Mearin F. Multi-target Treatment for Irritable Bowel Syndrome with STW 5: Pharmacological Modes of Action. J Gastrointestin Liver Dis. 2020 Jun 3;29(2):227-233.

18. Lembo A, Sultan S, Chang L, et al. AGA clinical practice guideline on the pharmacological management of irritable bowel syndrome with diarrhea. Gastroenterology 2022;163:137–151.

19. Mark Pimentel et al. Development and Validation of a Biomarker for DiarrheaPredominant Irritable Bowel Syndrome in Human Subjects. Plos One. May 13, 2015.

Turn static files into dynamic content formats.

Create a flipbook
Issuu converts static files into: digital portfolios, online yearbooks, online catalogs, digital photo albums and more. Sign up and create your flipbook.