









www.medmag bg Редакционна








СЪДЪРЖАНИЕ
ТЕРАПИЯ, ПРИЛОЖИМОСТ И ДОСТЪПНОСТ НА ХИПЕРБАРНАТА ОКСИГЕНАЦИЯ Н. Семерджиева, П. Атанасов, M. Димитрова 28 КАНДИДОЗИ (CANDIDIASIS) Й. Велевска, И. Юнгарева, С. Мáрина






дна от най-изследваната и клинично установена функция на витамин D е неговата
вещество, което функционира като прохормон, тъй
Витамин D може да съществува или като
ергокалциферол (витамин D2), получен от растения
като холекалциферол (витамин D3), произведен в кожата на бозайници след излагане на ултравиолетови B (UVB) лъчи и консумация на храни
от животински произход.
В черния дроб витамин D се превръща в калцидиол, основната циркулираща форма, която се измерва в лабораторни анализи. В бъбреците калцидиолът се превръща в калцитриол, биологично активният хормон, отговорен за системните ефекти. Действията на калцитриола
ИЗПОЛЗВАНА ЛИТЕРАТУРА:
1. Borel, P., Caillaud, D., & Cano, N. J. (2013). Vitamin D Bioavailability: State of the Art. Critical Reviews in Food Science and Nutrition 55(9); 1193-1205. DOI:10.1080/10408398.201 2.688897, https://www.tandfonline.com/doi/ full/10.1080/10408398.2012.688897.
2. Kaur, J., Khare, S., Sizar, O., & Zulfiqar, H. (2025). Vitamin D deficiency. In StatPearls. StatPearls Publishing. https://www.ncbi.nlm. nih.gov/books/NBK532266/
4. National Institutes of Health, Office of Dietary Supplements. (08 November 2022). Vitamin D: Fact Sheet for Consumers.
3. Jolliffe, D. A., Camargo, C. A., Sluyter, J. D., et al. (2021). Vitamin D supplementation to prevent acute respiratory infections: a systematic review and meta-analysis of aggregate data from randomised controlled trials. The Lancet Diabetes & Endocrinology 9(5); 276-292. DOI:10.1016/S2213-8587(21)00051-6, https:// www.thelancet.com/journals/landia/article/ PIIS2213-8587(21)00051-6/fulltext.
https://ods.od.nih.gov/factsheets/VitaminDConsumer/. Accessed on 19 September 2025.
5. Chakhtoura, M., Bacha, D. S., Gharios, C., et al. (2021). Vitamin D Supplementation and Fractures in Adults: A Systematic Umbrella Review of Meta-Analyses of Controlled Trials. The Journal of Clinical Endocrinology & Metabolism 107(3); 882-898. DOI:10.1210/ clinem/dgab742, https://academic.oup.com/ jcem/article/107/3/882/6431451.
6. LeBoff, M. S., Murata, E. M., Cook, N. R., et al. (2020). VITamin D and OmegA-3 TriaL (VITAL): Effects of Vitamin D Supplements on Risk of Falls in the U.S. Population. The Journal of Clinical Endocrinology & Metabolism 105(9); 2929-2938. DOI:10.1210/clinem/ dgaa311, https://academic.oup.com/jcem/ article/105/9/2929/5850900.
7. Lehmann, U., Hirche, F., Stangl, G. I., et al. (2013). Bioavailability of Vitamin D2 and D3 in Healthy Volunteers, a Randomized Placebo-Controlled Trial. The Journal of Clinical Endocrinology & Metabolism 98(11); 4339-4345. DOI:10.1210/jc.20124287, https://academic.oup.com/jcem/ article/98/11/4339/2536636. 8. U.S. Department of Agriculture & U.S. Department of Health and Human Services. (2020). Food Sources of Vitamin D. Nutrition and Your Health: Dietary Guidelines for Americans, 2020-2025. https://health.gov/ sites/default/files/2020-01/DGA2000.pdf. Accessed 19 September 2025.
ИМА ТЪНКА ГРАНИЦА
МЕЖДУ ХРАНИТЕЛНА
ДОБАВКА
ородиспергиращ филм, който се топи в устата
ородиспергиращ филм, който се топи в устата

И ИНОВАТИВНА ТЕХНОЛОГИЯ
Бързо разтваряне в устата
Не се налага преглъщане
Прецизно и точно дозиране
се налага преглъщане Прецизно и точно дозиране
Готов за употреба - удобен за носене в джоба
Готов за употреба - удобен за носене в джоба
Идеален за хора без постоянен
Идеален за хора без постоянен
достъп до вода
достъп до вода
Подходящ за хора с увреждания
Подходящ за хора с увреждания
и дисфагия и за пациенти с
и дисфагия и за пациенти с
мукозит или гадене
мукозит или гадене
Подходящ за деца над 3 години
Подходящ за деца над 3 години









статия, публикувана в списание Cell Reports Medicine, авторите Мария Дж. Гонзалес-Ре -
Дж. Дракър от
болница Mt. Sinai, Торонто, Канада, об -
общават и изясняват доказателства, че
агонистите (RAs) на рецептора на глю -
кагоноподобен пептид-1 (GLP-1), пър -
воначално разработени за лечение на
диабет тип 2 и контрол на теглото, де -
монстрират изненадващо широк спектър от клинични ползи.
Тези доказателства, получени от няколко големи клинични проучвания, разкриват, че GLP-1 рецепторните агонисти (РА) като семаглутид и тирзепатид могат значително да намалят риска от сърдечно-съдови събития, хронично бъбречно заболяване и чернодроб -
работени за лечение на диабет тип 2 (T2D) и затлъстяване.
Семаглутид и двойният агонист тирзепатид са едни от най-обсъжданите лекарства днес, предвид безпрецедентната им клинична ефикасност както при отслабване, така и при лечение на диабет тип 2.
Изненадващо, все по-голям брой клинични проучвания показват, че тези лекарства (и други GLP-1
проучвания (n = 15 публикации). Ключовите асоциации между лекарството и заболяването, които са обхванати, включват: 1. Сърдечно-съдови резултати (напр. проучвания SELECT и SOUL), 2. Хронично бъбречно заболяване (ХБЗ) (напр. FLOW), 3. Сърдечна недостатъчност със запазена фракция на изтласкване (HFpEF) (напр. STEP-HFpEF и SUMMIT), 4. Изследвания на стеатохепатит,
(напр. проучване STRIDE).
РЕЗУЛТАТИ ОТ ПРЕГЛЕДА Ползите от GLP-1 лекарствата са мултиорганни и се движат от сложни механизми. Например, в проучването SELECT (17 600 пациенти със сърдечно-съдови заболявания и затлъстяване, но без диабет тип 2), седмичното приложение на семаглутид (2.4 mg) е намалило риска от големи нежелани сърдечно-съдови събития (MACE –инфаркт, инсулт или сърдечно-съдова смърт) с 20% в сравнение с плацебо (HR 0.80; p < 0.001). Важно е да се отбележи, че тази полза не е зависима единствено от количеството загубено тегло.
Ползите при ХБЗ са били подобни, като
в проучването FLOW (3500 пациенти с диабет тип 2 и хронично бъбречно заболяване), семаглутид (1 mg седмично) е намалил риска от събития на бъбреч -
сърдечно-съдови причини с 24% (HR 0,76; p < 0,001), което е накарало FDA да разшири одобрението си (януари 2025 г.), за да включи намаляване на риска от прогресия на бъбречното заболяване.
Проучванията SURMOUNT-OSA разкриват, че тирзепатид драстично намалява тежестта на обструктивната сънна апнея, като се подчертава, че лекарството намалява индекса на апнея-хипопнея (AHI) на пациентите, мярка за прекъсвания на дишането, с приблизително 20-24 събития на час повече от контролната група, в зависимост от това дали пациентите са
по-различен, като проучването STEP 9 установява, че семаглутид подобрява физическата функция на пациентите и намалява интензивността на болката в коляното. Освен това, множество проучвания вече показват, че GLP-1 агонистите могат да доведат до подобряване на
MASH, тежка форма на мастно чернодробно заболяване, без влошаване на чернодробната фиброза, което е често срещан нежелан резултат, наблюдаван при някои съвременни лекарства. Въ
като EVOKE и EVOKE+,
из
следват този потенциал за ранна болест на Алцхаймер. Прегледът уточнява, че ефективното дозиране, продължителността и ефикасността при неметаболитни и невропсихиатрични показания, включително болестта на Алцхаймер и разстройства, свързани с употребата на вещества, все още не са установени. [www.medmag.bg ] 7
Източник: Gonzalez-Rellan, M. J., & Drucker, D. J. (2025). The expanding benefits of GLP-1 medicines. Cell Reports Medicine, 6(7), 102214. DOI –10.1016/j.xcrm.2025.102214. https://www.sciencedirect.com/science/article/pii/S2666379125002873?via%3Dihub
смятало, че има лечебни свойства, включително като лечение на кашлица и настинки.
В традиционната европейска народна медицина, Cistus е бил използван за
лечение на рани и инфекции поради противовъзпалителните си свойства.
СЪВРЕМЕННА НАУЧНА ПОДКРЕПА ЗА ТРАДИЦИОННИТЕ ПРИЛОЖЕНИЯ
Последни проучвания са предоставили научна основа за традиционната употреба на Cistus. Изследванията показват, че екстрактът от Cistus проявява значителни антимикробни свойства, което го прави ефективен срещу широк









Доцент Велинов, една част от про -
фесионалните ви интереси е т.нар.
микробна резистентност. Какво се
крие зад това понятие и защо на -
последък се говори все по-често за
проблема?
Микробната, в частност бактериал -
ната резистентност, е естествен процес, който помага на бактериите да
преживяват при неблагоприятни ус -
ловия. При развитието си микро -
се адаптират към средата,
(антимикробните средства унищожават чувствителните на тях микроби,
резистентните)
разпространение
резистентни патогени още по-бързо. Ненужното изписване на антибиотици, неправилна доза или неподходящ курс на лечение,
така и в селското стопанство.
Антибиотиците са спасили милиони човешки живота, спомогнали са за развитието на
медицината и технологичния прогрес и са убили неизброим брой микроби, както патогенни, така и коменсали. Да, бактериалните инфекции се лекуват най-успешно с антибиотици, но не трябва да забравяме, че не всички инфекции са причинени от бактерии.
Другото много важно нещо е, дори когато са
полезни, антибиотиците вредят! Странични действия, които да прекъснат терапията, като
остра бъбречна недостатъчност, панцитопения, удължен QTc интервал и редица други.
Те са основният стимул за изграждане на резистентност, биофилми и появата на персистърни форми.
Да не забравяме и вторичните инфекции. Именно затова, преди стартирането на антибиотичната терапия е необходимо да си зададем няколко въпроса. На първо място – има ли нужда от изписване на антибиотици?
Най-честата ситуация, при която се прибягва до антибиотик, е когато инфекцията е безспорна, но патогенът е неизвестен. Тогава се стартира емпирична терапия. За да се подси -
гурят терапевтите изписват широкоспектърен антибиотик или комбинация от два или три препарата.
За правилното стартиране на терапията е необходим безспорен клиничен опит, обстой -
на анамнеза и данни, както клинични, така и лабораторни, за възпалителен процес. Ва -
жен момент тук е преди стартирането на терапията да се вземе материал за микроби -
ологичен анализ. По този начин се решават няколко обстоятелства – след излизане на микробиологичния резултат се поставя
има в лечеб -
заведения и затворените колективи, поради честата употреба на антибиотици в болниците, близкия контакт на пациентите и възможността резистентните бактерии лесно да се предават помежду им. Характерни вътреболнични изолати с високи нива на резистентност са K. pneumoniae, A. baumannii, E. coli, P. aeruginosa, като трябва да подчертая дебело, че в нашите болници имаме такива изолати, които не са чувствителни на нито един от познатите ни и регистрирани в страната антимикробни препарати. Нивата на резистентност към бета-лактамните антибиотици при K. pneumoniae са най-високите в Европейския съюз. Тук на помощ отново идва микробиологичното изследване, което може да ни даде информация коя антибиотична комбинация е ефективна. От болниците тези резистентни бактерии, много успешно се прехвърлят в обществото и именно поради тази причина антибиотичната резистентност е такъв проблем и отговорните в медицинско отношение държави приоритизират грижите за ограничаване появата и разпространението на тази резистентност. Като говорим за инфекции, придобити в обществото, тук можем да споменем няколко бактерии, които са трудни за лечение – S. pneumoniae, H. influensae, някои представители на коринебактериите.
Добре известен факт е, че в студеното и влажно време не можем да се предпазим от често срещаните респираторни инфекции, които лесно преминават в бактериални. Има
Coronaviruses (вкл. COVID-19),
Entero-, Reo-, Boca-
Adenoviruses.
ка температура (треска), умора и суха
кашлица. Някои пациенти могат да
имат мускулни болки, запушен нос, хрема, болки в гърлото или диария.
Тези симптоми обикновено са леки и
постепенно отзвучават.
Усложненията от тези вируси са тежките инфекции на ДДП и пневмония,
предимно при имуносуресирани пациенти, както и такива със сърдечни и белодробни заболявания; при
много възрастни или много малки
деца.
Хора с висока температура, кашлица и задух трябва да потърсят ме -
дицинска помощ. Бактериалните ус -
ложнения, придобити в обществото, обикновено са от микроорганизмите, обитаващи горните дихателни
пътища - Streptococcus pneumoniae
и Haemophilus influenzae, докато Staphylococcus aureus, Klebsiella pneumoniae и Pseudomonas aeruginosa са водещи при болничен
престой.
Защита от „простудата“ няма, но можем да се подготвим за нея, както и да подготвим децата. Закаля -
ващите процедури, спорта, многото
движение и рационалното хранене, подкрепено с някаква суплементация, най-често витаминна, са
водещи за изграждане на щит срещу инфекциите. Колкото до симптомите на усложняваща се инфекция, при влошаване на състоянието след частично подобрение, потърсете лекар, това са алармиращите симптоми.
Какъв е алгоритъмът на поведение преди да предпишем антибиотик
ecdc.europa.eu/en/search?s=Antimicro bial+resistance, водещи в антибиотичната резистентност. Опитните клиницисти лесно се ориентират кога да прибегнат към антибиотична терапия, но много често притиснати от различни обстоятелства, решават да се подсигурят. В действителност, антибиотиците са помогнали на хората толкова ефективно, че това е довело до свръх-употребата им, дори и когато не са необходими, така натискът върху микробите се увеличава, което само по себе си е мутагенен фактор. Или с други
полагаме с данни
етиологична структура на съответната инфекция, да се съобразим с факторите, свързани с пациента (минали и настоящи заболявания, алергии и пр.), клиничната фармакология на антибиотика и неговата икономическа ефективност.
Вашето мнение за приема на пробио тици по време на лечението с антибиотик?
Всеки антибиотик оказва влияние върху нормалната микробна флора – нашата микробиота. Тя осигурява първата линия на защита срещу различни патогени и чужда колонизация, активно участва в мета

уберкулозата е заболява -
не старо почти колкото чо -
вешкия род. Независимо от
многото нови открития по
отношение на туберкулоз -
ния причинител, а също така и за ле -
чението на заболяването, все още всяка секунда някой в света се инфектира с туберкулоза. Една трета
от световното население е инфектирано. Над 8 млн. се разболяват вся -
ка година, а между 2-3 млн. умират
от туберкулоза. Глобализацията и неконтролируемата човешка миграция са в основата на загубения контрол на туберкулозното заболяване.
Това може би е причината за ренесанса
година. По данни от Националния център по обществено здраве и анализи в България заболяемостта от актив -
на туберкулоза на 100 000 души население от 2009 г. до 2023 г. е както следва: ОБЩО: 2009 г. – 25.9→2023
г. – 13.5; ТВС на дихателната система: 2009 г. – 19.9→2023 г. – 12.0; ТВС на кости и стави: 2009 г. – 1.0→2023
г. – 0.3; ТВС на НС: 2009 г. – 0.1→2023 г. – 0.1. Туберкулозата е седмата
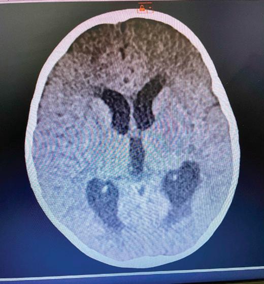
след контакт с туберкулозно болни. Туберкулозният менингоенцефалит сравнително рядко е израз на първично засягане на ЦНС. Той неизменно държи първото място по причина за леталитет в детската възраст – около 50%. В най-рисковата възрастова група от 0 до 4 години в около 70% имаме установен контакт в близкото семейно обкръжение на детето (баща, майка, баба, дядо), което показва значимостта на правилно снетата ранна епидемиологична анамнеза.
Патогенезата на заболяването, представена съвсем накратко, е следната: Mycobacterium tuberculosis→по въздушно-капков път достига до алвеоларните макрофаги, развива се бактериемия→туберкул→субарахноидално пространство→менингит. Ако от менингите бактерият достигне и до мозъчния паренхим→туберкуломи
абсцеси→ексудат от абсцесите при отварянето им инфилтрира
кортикалните и менингеални кръвоносни съдове и води до мозъчно възпаление и инфаркт. Развива се характерен базален менингит, засягат се предимно III, VI и VII ЧМН и се развива обструктивна хидроцефалия→адхезия + облитериращ васкулит + енцефалит или миелит.
Клинична характеристика: Началото на заболяването е постепенно, болните се оплакват от общо неразположение, отпадналост, липса на апетит, загуба на тегло, субфебрилна температура (до 38°С) предимно привечер, нощно изпотяване, непостоянно главоболие, разстройство на съня. Децата стават раздразнителни, капризни, с проплаквания. Менингеалният синдром се развива постепенно с главоболие, повръщане, поява на МРД, свръхчувствителност към светлина (фотофобия)
нерви (очедвигателните, зрителния, лицевия, слуховия). Чести са психичните промени.
От лабораторните изследвания ос -
новно диагностично значение има изследването на гръбначно-мозъчната течност (ликвор). Той е бистър и прозрачен, рядко жълтеникав, но при оставане в покой се образува фина паяжиновидна (фибринова) мрежа, което има важно диагностично значение. Характерна е белтъчно-клетъчната дисоциация на ликвора, т.е. протеинорахията е относително по-изразена от плеоцитозата, която е с превалиране на лимфо-моноцитите; ликворната захар е силно намалена до липсваща.
Етиологичната диагноза на туберкулозния менингоенцефалит по обективни причини е възможна в 6-10% от заболелите деца. Поради това диагнозата е комплексно обусловена. Епидемиологичната анамнеза, симптоматиката на базален менингит и характеристиката на ликворния синдром са патогномонични и поставят диагнозата. Абсолютно необходимо е диагностичния процес да продължи с туберкулинов тест на Манту, микробиологично изследване на ликвор (директна микроскопия, посявка на MGIT, PCR real time, BACTEK); SPOT TB; QFT in tube; Рентгеново изследване на белите дробове; КАТ, ЯМР на мозъка.
За правилното и успешно лечение на туберкулозния менингит е важно да се съблюдават следните правила: максимално бърза диагноза; своевременно
невроинфекция са: вътречерепна хидроцефалия с изразен мозъчен оток, обструктивна енцефалопатия, множествената резистентност, която възниква главно при неправилно провеждане на лечението, образуване на туберкуломи, васкулит и др. Цел на настоящото научно съобщение е представяне на случай на 2-годишно дете с туберкулозен менингит, лекувано в УМБАЛ „Д-р Г. Странски“ - Плевен – диагностични, логистични и терапевтични проблеми. Касае се за Г.С.Д. на 2 г., ИЗ № 31104/2021 г., родено от 2-ра бременност, с оперативно родоразрешение. Тегло при раждането – 3600 г, тегло при постъпването – 12 кг. Детето е редовно имунизирано. Епидемиологична анамнеза – отрича контакт със заразно болни. Фамилна анамнеза – необременена. Заболява 2 седмици преди хоспитализацията с болки в корема, повръщане, отказ от храна, отпадналост. С тези оплаквания е хоспитализирано в ДО – Севлиево – д-за Бронхопневмония (Рьо графия на бял дроб-дребнопетнисто засенчване двустранно в основите) - и започната терапия с Уназин, Амикацин, Флудитек, Ефералган (14.09.2021 г.). Поради неповлияване в състоянието на детето е преведено в ДО – Габрово – д-за Гадене и повръщане. Стартира терапия с Квамател, Деган, Ефералган, ВСР; установени Бабински /+/, вратна ригидност, което е
Табл. 1
Табл. 2
без хрипове. Брадиритмична сърдечна дейност, ясни тонове; пулс добре напълнен 63 уд./мин. Корем – мек, без данни за ХСМ. Мускулен тонус –нормален, ставна подвижност – запазена. НС – отслабени до липсващи коремни рефлекси; зеници – еднакви, запазена зенична реакция.
Клонус на стъпалото при изследване на Ба -
бински вдясно. Походка невъзможна, седи
нестабилно. Без МРД.
Започва се диагностично уточняване с не -
обходимите изследвания. Резултатите от
ПКК и ЧБП са показани съответно на Табл. 1 и Табл. 2.
В Детска клиника стартира активна комплексна терапия, а именно: Амикин, Меронем, Дексаметазон, биопродукти, антиедемна терапия,


Изследване на КМИ: CD4+ - 22,09% (N 36-46%) ; CD 8 + - 8,75%; (N 31-40%);CD 4+/CD 8+ - 2,52 (N 1,0-1,5); B Ly – 41,88 (N 5-16); NK – 5,96 (N 10-19).
Въз основа на всички тези анамнестични данни, клинико-лабораторни, имунологични и инструментални изследвания се прие окончателна диагноза Туберкулозен менингит. Проведе се консултация с педиатър-фтизиатър и се започна специфична антитуберкулозна терапия, включваща: изониазид, рифампицин, пиразинамид, амикацин, дексаметазон, хепатопротектор, хуман албумин, имуновенин, антиедемна и водно-солева реанимация.
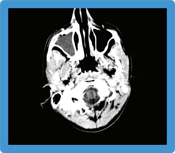
Беше осъществено Рьо на бели дробове: липсват рентгенови данни за патологични засенчвания в белодробния паренхим двустранно. К.д. синуси – свободни. Сърце и медиастинум – б.о. Контролна КАТ на главен мозък: екстремно разширени вентрикулни отдели на ликворната система. Намален
око
цистерни. Заключение: КТ данни за тежка вътрешна хидроцефалия
ация, лимфомоноцитозата и хипогликорахията, които са характерни за туберкулозния менингит. По време на болничния престой детето е в тежко състояние, с персистиращ субфебрилитет в различни периоди на денонощието. Отпуснато, апатично, с капризен апетит, влошаващ се в динамика, без катарални и диспептични прояви. Без гърчова симптоматика. Не се установи МРС, СНР умерено живи, симетрични, не се позитивират отклонения


2.
4.
5. American Academy of Pediatrics, Dexametazon therapy for bacterial meningitis in children, Pediatrics, 1990, 86,130-133
6. Molovi A., Le Focu JL - Tuberculous meningitis, Med. Clin., North Am.1985, 69; 315-331.
10.02.2017
7. Jun Seok Lee, Geun Sung Song, Dong Wuk Son Surgical Management of Syringomyelia Associated with Spinal Adhesive Arachnoiditis, a Late Complication of Tuberculous Meningitis: A Case Report Korean Journal of Neurotrauma 2017; 13(1): 34-38.
8.
9. European Centre for Disease Prevention and Control An agency of the European Union, Infectious Disease topics
doichinova_ceca@abv.bg
П. Масларски, педиатър
Аджибадем Сити Клиник - София
Остри
ЕПИДЕМИОЛОГИЯ Касае се за най-честите заболявания, от които страдат децата. Засегната е обикновено възрастта между 1 и 6 години. Кърмачетата страдат
относително пo-рядко поради пасивния имунитет, получен от майката. След 6-ата година заболяванията постепенно намаляват поради усъвършенстването на локалната защита на горните дихателни пътища.
Статистическите данни показват, че при децата от ранна и предучилищна възраст 63% от инфекциите са на горните дихателни пътища. Тези заболявания зачестяват през есенно-зимно-пролетния
ЕТИОЛОГИЯ Основен етиологичен фактор при инфекциите на горните дихателни пътища са вирусите. По-малка е ролята на бактериите и микоплазмите. Бактериите могат да предизвикват първични заболявания, но по-често усложняват вторично вирусните инфекции. Проучванията показват, че в ранна и предучилищна възраст вирусите причиняват над 90% от инфекциите на горните дихателни

Малките деца, дори и тези от преду -
чилищна възраст, рядко се оплакват
от болки в гърлото.
РИНИТ И РИНОФАРИНГИТ
Ринитът се причинява най-често от
риновируси. Инкубационният пери -
од е къс - 1-2 дни. Основният симптом е затрудненото дишане през
носа, което принуждава детето да
диша през устата с отметната назад
глава. Носната секреция в началото е оскъдна и детето сумти. По-къс -
но тя става по-обилна, серозна и
предизвиква кихане. Постепенно секрецията придобива слузен или слузно-гноен характер. Температурата е повишена. При обективното изследване се открива зачервена оточна лигавица на носа и обилен
секрет в носните ходове. Тази кли -
нична картина се среща при пo-го -
лемите деца. У по-малките деца ин -
фекцията се разпространява към
назо- и орофаринкса и има основа -
ние да се постави диагнозата ри -
нофарингит.
Причинителите на ринофарингита са също вируси, но тук наред с рино -
вирусите етиологична роля играят и
парагрипните вируси, респиратор -
но-синцитиалният вирус и по-рядко адено- и ентеровирусите. Изброените вирусни причинители са представени в над 100 щама.
У пo-големите деца поради набъбване на лигавицата и обилния секрет е налице назална обструкция.
Добавят се общо неразположение
безапетитие, главоболие, сухота в
гърлото, кихане и рядка кашлица. Кашлицата се дължи на аспирация или стичане на секрет от фаринкса
поради което тя се за -
субмандибуларни
възли.
отклонения.
У кърмачетата и малки деца инфекциозният синдром е силно изявен. Наред с горепосочените симптоми е налице и висока температура - над 38°С, която може да предизвиква фебрилни гърчове. Децата са неспокойни, сънят е нарушен, храненето - затруднено. Повръщане и пo-рядко диария съпровождат проявите от страна на горните дихателни пътища.
Диагнозата се поставя въз основа на клиничната картина и данните за епидемиологичен контакт. С помощта на имунофлуоресцентна техника може да се идентифицира причинителят.
да се имат предвид алергичните ринити. С ринофарингит започват обривните заразни болести – mоrbili, rubeolla, varicella.
Лечението с антибиотици предвид вирусната етиология на ринита и ринофарингита не е ефективно и не намалява опасността от бактериална суперинфекция. Патогенетичното лечение с антихистаминови препарати е също неефективно. Лечението

РИСКОВИ ФАКТОРИ
Недоносени деца или деца с ниско
тегло при раждането, алергична предиспозиция, компрометиран имунитет, краниофациални аномалии, нервно-мускулни заболявания, деца с по-къса и широка Евстахиева тръба, деца с хронични инфекции на ГДП, неблагоприятни фактори на
околната среда и условията на живот, есенно-зимен сезон.
ПАТОФИЗИОЛОГИЯ Острият среден отит обикновено възниква като усложнение на вирус -
на инфекция на ГДП, нарушаваща
цилиарната активност и намаляваща проходимостта на Евстахиевата
тръба. Това води до серозен излив в
средното ухо, вторична бактериална
инфекция, задебеляване на тъпан -
чевата мембрана и възпаление с ка -
тарален, хеморагичен, гноен или не -
кротичен меанизъм. В кърмаческата
възраст и при малките деца Евста -
хиевата тръба е със склонност към
дисфункция поради непълноценен
хрущял и слаб m. tensor veli palatine.
КЛИНИЧНА КАРТИНА
Температура, плач и възбуда, болка, отказ от храна, гастроинтестинални симптоми.
УСЛОЖНЕНИЯ
Излив в средното ухо и персистираща глухота с последващо смуще -
ние в нервно-психическото разви -
тие, говор и обучение. Мастоидит, менингит, тромбози, перфорация на
мембраната, обикновено в задния и
долно-задния й квадрант.
ДИАГНОЗА
Гърлените и носните секрети не коре -
- основен диагностичен
не на заболяването. При неповлияване на симптомите до 72 часа се започва антибиотично лечение. Като първа позиция при оралната антибиотична терапия са пеницилиновите, цефалоспорини – втора генерация и макролиди. Важна роля играят противовъзпалителните, обезболяващите и антипиретични медикаменти - от групата на ибупрофен, нурофен и др. ПРОФИЛАКТИКА При рисковите деца се препоръчва освен общите профилактични мерки като закаляване, хранене, оптимизация на средата, приложение на ваксини за Str. Pneumonia поради огромното етиологично значение на този микроорганизъм. Адекватна е имунопрофилактиката за Haemophilus influence.
За добър имунитет на децата на
първо място са нужни разнообразен хранителен режим, пълноценен сън, редовни и умерени физически упражнения, хигиенни навици и здравословна околна среда. Дори при максимално спазени препоръки невинаги имунитетът е на задоволително ниво. Ето защо през последните години фармацевтичната индустрия продуцира все повече разнообразни комбинации от растителни екстракти, което предполага допъл
киселина заедно с бета глюкан, стимулира продукцията
та фагоцитарна активност, укрепва съдовата стена, стимулира


www.defendyl.bg
Н. Семерджиева, П. Атанасов, M. Димитрова Клиника по вътрешни болести, УМБАЛСМ „Пирогов“
C. difficile гастроентерит: продължителност на диетата и антибиотичната терапия, приложимост и достъпност на хипербарната оксигенация
ПАТОГЕНЕЗА НА ИНФЕКЦИЯТА С CLOSTRIDIUM DIFFICILE
КДИ е най-честата причина за диария, свързана с антибиотици[6,7]. C. difficile е грам-положителен бацил със способност да произвежда ендоспори, които често се срещат в околната среда, както и в чревния тракт на хора и животни. В стомашно-чревния тракт спорите могат да се развият до патогенни вегетативни форми, произвеждайки токсини А и В, които
ция на чревния епител. КДИ може да се прояви чрез асимптоматично носителство, лека до
ванкомицин като пулсове веднъж на 48-72 часа в продължение на 2-8 седмици според Европейското Дружество по Клинична Микробиология и Инфекциозни Болести[8]
ДВА ОСНОВИ ФАКТОРА БЛАГОПРИЯТСТВАТ ЗА РАЗВИТИЕТО НА КДИ, ОСВЕН УПОТРЕБАТА НА АНТИБИОТИЦИ Миши модели показват, че хранителните протеини, мазнини и фибри повлияват патофизиологията и резултатите от лечението на C. difficile инфекцията. Освен това, обсервационни проучвания при хора показват наличието на разлики в състава на чревния
микробиом и микробно медиираните метаболити на здрави индивиди в сравнение с тези на болни с първична КДИ и рецидивираща КДИ. Mишки, хранени с диета с високо съдържание на мазнини/ниско съдържание на
фибри, са имали много по-висока смъртност при индуцирана от антибиотици КДИ в екс -
периментални условия, в сравнение с контролни мишки нa диета с ниско съдържание на мазнини/ниско съдържание на фибри[9].
Диетата със соев протеин увеличава смъртността на заразени с C. difficile мишки, като същевременно повишава чревните нива на аминокиселини и благоприятсва развитието в червата на бактерии от вида Lactobacillus.
Всъщност, ферментацията на соевия протеин, медиирана от Ligilactobacillus murinus, води до генериране на определени аминокиселини, които създават благоприятни условия за растежа на C. difficile[10]
Диетични интервенции при други чревни заболявания като „диета за изключване при болестта на Крон“ и „специфична въглехидратна диета“, изключват специфични храни и хранителни добавки, за които е известно, че са противовъзпалителни. Тези диети са с ниско съдържание на мазнини и водят до промени в чревния микробиом и до понижени възпалителни маркери в системната циркулация[11]. Allegretti и съавтори
на липидите, се реабсорбират активно в терминалния илеум чрез апикален натрий-зависим транспортер на жлъчни киселини[13]. Te участват в абсорбцията на мазнините и мастноразтворимите липиди. Останалите 5% от неабсорбираните жлъчни киселини преминават в дебелото черво, където претърпяват по-нататъшна микробна трансформация[13]. Само тясна група коменсални бактерии могат да извършват 7α-дехидроксилиране, което е
ключовата реакция при образуването на вторична жлъчна киселина. Членовете на семействата Lachnospiraceae и Ruminococcaceae, включително Clostridium scindens и др., проявяват 7α-дехидроксилираща активност[14] Пероралното приложение на препарати, съдържащи естествено образуващата се в организма урсодезоксихолева киселина (УДХА) води до повишената й концентрация в жлъчката и намалява хепатотоксичните ефекти на жлъчката. УДХА е одобрена за лечение с индикации първичен билиарен холангит и неалкохолен стеатохепатит. УДХА
спира вегетативния свръхрастеж на C. difficile in vitro[15] и е показала ефективност като част от лечението на рецидиви на KДИ извън одобрените индикации[16].
Очевидно влиянието на жлъчните киселини при КДИ може да се обобщи като увеличаване концентрацията на първичните жлъчни киселини в нерезорбираното чревно съдържимо (увреден епител, липсващи транспортни системи за резорбция) и липса на коменсални бактерии, които осигуряват образуването
на вторични жлъчни киселини. Последните инхибират вегетиращите C. difficile. В диетата, спазването на която се препоръчва от специалистите по инфекциозни болести след преболедуване на C. difficile ентероколит, с оглед превенция на рецидиви на инфекцията, не се изключва прием на подходящо термично обработено месо (телешко, птиче). Предвид сравнително високото съдържание на мазнини в месото (напр. пуешко, кокоше, патешко, телешко, съотв. 15 грама, 21 грама, 29 грама, 12 грама в 100 грама продукт),
при хоспитализираните в интензивно отделение, без обаче да намали вътреболничната смъртност при тези болни[17]. Пациенти, приемащи ниацин, езетимиб или фибрати, анализирани заедно, не са имали повишен или намален риск за развитие на инфекция с C. difficile в сравнение с пациентите, които не приемат лекарства за понижаване на
холестерола. След коригиране на потенци -
ални други фактори на въздействие, прие -
мът на смоли (липидопонижаващи медика -
менти, неодобрени за употреба в България) е свързан с 3.56 пъти по-висока честота за инфекция с C. difficile спрямо неприемащи ле -
карства за понижаване на холестерола[18]
Следователно, ихибирането на резорбцията на мазнини с опредени медикаменти (смоли)
в чревния тракт би могло, при определени обстоятелства (грешки в диетата), да способства развитието на КДИ.
Особено място в патогенезата и лечението на КДИ и рецидивите й имат късоверижните мастни киселини (КМК). Бутиратът, по-специално, е добре проучен във връзка с КДИ
фибри. Той служи като основен източник на енергия за клетките на дебелото черво. Многобройни проучвания показват значителни разлики в състава на чревния микробиом между здрави индивиди и тези с КДИ. По-специално, индивидите с реци -
дивиращ КДИ имат за намален брой бакте -
рии, произвеждащи бутират (Ruminococcus и
Lachnospiraceae) и значително по-ниски фе -
кални нива на бутират, както и нарастване на
бактерии от род Enterobacteriaceae (не произвежда бутират)[19]. При силно нарушен червен
микробиом приемът на пробиотични щамове бактерии, които генериират
на токсини. Витамин D е от значение за поддържане на естествена защита на епителните клетки, в това число чревните епителни клетки[21] ЗНАЧЕНИЕ НА ЕНТЕРАЛНОТО ХРАНЕНЕ Eнтералното хранене е необходим компонент на интензивното лечение. Връзката между ентералното
ХИПЕРБАРНА КИСЛОРОДНА ТЕРАПИЯ ПРИ БОЛНИ С КДИ
Хипербарната кислородна терапия/ оксигенация (ХБО) е високоефективен метод за лечение, който осигурява високи концентрации на кислород в кръвта, включително и в хемодинамично компрометирани тъкани (травми, възпаление) и активира синтеза на свободни кислород -
ни радикали, които са бактерицидни за анаеробните бактерии. ХБО подобрява вътреклетъчния транспорт на антибиотици. ХБО e скъп предимно по отношение на експлоатация и поддръжка на апаратурата физотерапевтичен метод, който е
безценен, макар и предимно допъл -
ващ основната терапия на други видове анаеробни инфекции (напр. га -
зова гангрена, отити, синуити). Този
метод се използва само по стро -
ги показания след консултация със специалисти в тази здравна област.
В японско проучване от 92 хоспита -
лизирани пациенти, диагностицирани с КДИ в периода 2013-2022 г. 16 пациенти със съпъстващи заболявания (инсулт, илеус или карцином) са получили ХБО. Това проучване е показало, че групата с ХБО е имала
0% рецидив на диария, причинена от C.difficile срещу 22.4% (p=0.0363) в контролната група и по-кратък симптоматичен период (6.2 срещу 13.6 дни, p=0.0217)[23]. Тъй като всички паценти с КДИ са били с инвалидизащи заболявания, храненето (състав на храната, количество, парентерално хранене) също вероятно играе роля
или други детергенти. C. dificile са устойчиви зa алкохолни разтвори, хлорхексидин и повечето други дезинфектанти за кожа. Дезинфекцията на повърхности и инстументи се извършва с препарати, съдържащи 0.15% хипохлорит; изваряване за 30 мин. при темература над 120 градуса[24] ЗАКЛЮЧЕНИЕ Правилното хранене
1. Khanna S, Pardi DS, Aronson SL, Kammer PP, Orenstein R, St Sauver JL, Harmse WS, Zinsmeister AR. The epidemiology of community-acquired Clostridium difficile infection: A population-based study. Am J Gastroenterol 2012; 107: 89–95.
2. Ma GK, Brensinger CM, Wu Q, Lewis JD. Increasing Incidence of Multiply Recurrent Clostridium difficile Infection in the United States: A Cohort Study. Ann Intern Med 2017; 167: 152–158.
3. Liu C, Monaghan T, Yadegar A, Louie T, Kao D. Insights into the Evolving Epidemiology of Clostridioides difficile Infection and Treatment: A Global Perspective. Antibiotics 2023; 12 (7): 1141.
4. Kelly CR, Fischer M, Allegretti JR, LaPlante K, Stewart DB, Limketkai BN, et al. ACG clinical guidelines: prevention, diagnosis, and treatment of Clostridioides difficile Infections. Am Jour Gastroenterol 116(6):p 1124-1147, doi 10.14309/ ajg.0000000000001278
5. Prehn J, Reigadas E, Vogelzang EH, Bouza E, Hristea A, Guery B, et al. Guideline Committee of the European Study Group on Clostridium difficile and European Society of Clinical Microbiology and Infectious Diseases: 2021 update on the treatment guidance document for
Clostridioides difficile infection in adults. Clin Microbiol Infect. 2021; Suppl 2: S1-S21.
6. Czepiel J, Drozdz M, Pituch H, Kuijper EJ, Perucki W, Mielimonka A, et al. Clostridium difficile infection: review. Eur J Clin Microbiol Infect Dis. 2019;38(7):1211–1221.
7. Song JH, Kim YS. Recurrent Clostridium difficile Infection: risk factors, treatment, and prevention. Gut Liver. 2018; 13(1): 16–24.
8. Murphy MM, Patatanian E, Gales MA. Extended duration Vancomycin in recurrent Clostridium difficile infection: a systematic review. Ther Adv Infect Dis. 2018;5(6):111–119.
9. Hazleton KZ, Martin CG, Orlicky DJ, Arnolds KL, Nusbacher NM, Moreno-Huizar N, et al. Dietary fat promotes antibioticinduced Clostridioides difficile mortality in mice. NPJ Biofilms Microbiomes. 2022 Apr 1;8(1):15. doi: 10.1038/s41522-02200276-1.
10. Yakabe K, Higshi S, Akiyama M, Mpri H, Murakami T, Toyoda A, et al.
Dietary-protein sources modulate host susceptibility to Clostridioides difficile infection through the gut microbiota. Cell Rep. 2022 Sep 13;40(11):111332. doi: 10.1016/j.celrep.2022.111332.
11. Fritsch J, Garces L, Quintero MA, Pignac-Kobinger J, SantanderAM, Fernandez I, et al. Low-fat, high-fiber diet reduces markers of inflammation and dysbiosis and improves quality of life in patients with ulcerative colitis. Clin Gastroenterol Hepatol. 2021;19(6):11891199.e30.
12. Allergetti JR, Kearney S, Li N, Bogart E, Bullock K, Gerber GK, et al. Recurrent Clostridium difficile infection associates with distinct bile acid and microbiome profiles. Aliment Pharmacol Ther. 2016;43(11):1142-53.
13. Lukawska A, Mulak A. Impact of Primary and Secondary Bile Acids on Clostridioides Difficile Infection. Pol J Microbiol. 2022;71(1):11–18.
14. Buffe CG, Bucci V, Stein R, McKenney PT, Ling L, Gobourne a, et al. Precision microbiome reconstitution restores bile acid mediated resistance to Clostridium difficile. Nature. 2015;517(7533):205-8.doi: 10.1038/nature13828.
15. Thanissery R, Winston JA, Theriot CM. Inhibition of spore germination, growth, and toxin activity of clinically relevant C. difficile strains by gut microbiota derived secondary bile acids. Anaerobe 2017 Jun:45:86-100.
16. Webb BJ, Brunner A, Lewis J, Ford CD, Lopansri BK. Repurposing an Old Drug for a New Epidemic: Ursodeoxycholic Acid to Prevent Recurrent Clostridioides difficile Infection Clin Infect Dis. 2019 Jan 18;68(3):498-500.
17. Wang R, Liu R, Wang H, Xu Z. ORIGINAL RESEARCH article. Association between statin administration and Clostridium difficile-induced enteritis: a retrospective analysis of the MIMIC-IV database. Front. Pharmacol. 2025; 16: doi: 10.3389/ fphar.2025.1550378
18. Wijarnpreecha K, Panjawatanan P, Thongprayoo C, Ungprasert P. Statins and risk of Clostridium difficile infection: A meta-analysis. Indian J Med Res. 2019 Oct;150(4):359–364.
22. Wang D, DongD, Wang C, Cui Y, Jiang C, Ni Q, et al. Risk factors and intestinal microbiota: Clostridioides difficile infection in patients receiving enteral nutrition at Intensive Care Units. Critical Care 2020; 426(24): doi.org/10.1186/ s13054-020-03119-7
23. Muroya D, Nadayoshi S, Yamada K, Kai Y, Masuda N, Nishida T, et al. Effects of Hyperbaric Oxygen Therapy for Clostridioides difficile-associated Colitis: A Retrospective Study J Anus Rectum Colon. 2023;7(4):264–272.
24. Tarka P, Hreczuch W, Chruściel A, Piotrowski M, Olczak-Pieńkowska A, Warda K, et al. Impact of an enhanced disinfection protocol on the incidence of clostridioides difficile infections and antibiotic consumption in a hospital setting: a retrospective intervention study. J Clin Med. 2025, 14(14), 4904; doi: 10.3390/jcm14144904
19. Castro M, Silver HJ, Hazleton K, Lozupone C, Nicholson MR. The impact of diet on Clostridioides difficile Infection: a review. Jour Infect Dis. 2025; 231(6): e1010–e1018,doi10.1093/ infdis/jiaf233 20. Lang V, Gunka K, Ortlepp JR, Zimmermann O, Grob U.Risk Factors of Patients With Diarrhea for Having Clostridioides (Clostridium) difficile Infection Front Microbiol. 2022 Mar 11:13:840846. doi: 10.3389/ fmicb.2022.840846. 21. Loureiro AV, Barbosa MLL, Morais MLGS, Souza IP, Terceiro LS, Martins CS, et al. Host and Clostridioides difficileResponse Modulated by Micronutrients and Glutamine: An Overview. Front Nutr. 2022:9:849301. doi: 10.3389/ fnut.2022.849301.
1
ВЪВЕДЕНИЕ
Кандидозите са често срещани микотични инфекции, причинени от дрождеви гъби от рода Candida, които при определени условия проявяват патогенност. Най-честият етиологичен агент е Candida albicans, докато други видове като C. tropicalis, C. parapsilosis, C. glabrata и C. krusei се срещат по-рядко[1,2]
В нормални условия Candida е част
от коменсалната флора на кожата и лигавиците на гастроинтестиналния и урогениталния тракт. Под влияние на предразполагащи фактори, като антибактериална терапия, хормонални



















































































































































































































