Medical Magazine 05 2025

Page 1


www.medmag bg

ISSN: 1314-9709

ПЕДИАТРИЯ

СЪДЪРЖАНИЕ

06 ХРАНИТЕЛНА АЛЕРГИЯ

- ХАРАКТЕРИСТИКИ И ПРЕДИЗВИКАТЕЛСТВА В ДИАГНОСТИКАТА Д. Христова

12 ЧРЕВНАТА МИКРОБИОТА И НЕЙНАТА ВРЪЗКА С АЛЕРГИЧНИТЕ ЗАБОЛЯВАНИЯ В ДЕТСКАТА ВЪЗРАСТ Е. Станкова

16 ХРАНЕНЕ С АДАПТИРАНИ МЛЕКА ЗА КЪРМАЧЕТА А. Ничева

АКУШЕРСТВО И ГИНЕКОЛОГИЯ

20 ВУЛВОВАГИНАЛНА КАНДИДОЗА - ЕПИДЕМИОЛОГИЯ, РИСКОВИ ФАКТОРИ, ВЪЗМОЖНОСТИ ЗА ПРЕВЕНЦИЯ

В. Карамишева, Д. Колева, М. Владимиров, Б. Карамишев, А. Колев, Л. Колева

24 ОНКОБИОМЪТ И ПАТОГЕНЕЗАТА НА ГЕНИТОУРИНАРНИТЕ ТУМОРИ ПРИ ЖЕНИТЕ

В. Карамишева, М. Владимиров, Д. Колева, Б. Карамишев, А. Колев, Л. Колева, Д. Христова, С. Шумарова, В. Спасова, Н. Христов, М. Георгиева, Г. Музикаджиева, М. Петрова

30 ГЕНЕТИЧНИ И ЕПИГЕНЕТИЧНИ ФАКТОРИ, ВЛИЯЕЩИ

ПРИ ПАЦИЕНТКИ СЪС ЗАТЛЪСТЯВАНЕ В. Спасова, В. Карамишева, А. Колев, Б. Карамишев, Д. Колева, Л. Колева, М. Владимиров, Св. Шумарова, М. Георгиева, Н. Христов,

34

В ЛЕЧЕНИЕТО П. Антонов ГАСТРОЕНТЕРОЛОГИЯ

52

56

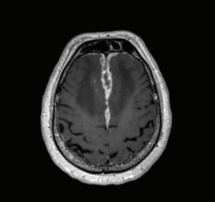
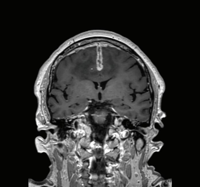
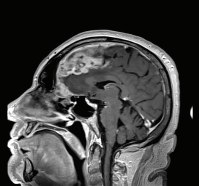
ПРЕДНА КЛИНОИДЕКТОМИЯ В. Наков

74 РЯДЪК

Хранителната алергия (ХА) се дефи -

нира като нежелана реакция към

специфичен хранителен антиген, обикновено безвреден за здравата

популация. Медиира се от имуноло -

гични механизми и възниква у индивида, чувтвителен към този специфичен алерген. Нетолерантността към съответна храна от своя страна се определя като неимунна реакция, медиирана от токсични, фармакологични и метаболитни механизми.

Реакциите към храни са описани преди около две хиляди години. Още Хи -

пократ описва реакция към мляко през I век, а анафилактични реакции към яйца и риба са описани през XVI и XVII век.

Последни доклади сочат, че IgE­ медиираната хранителна алергия за -

или дори при възрастни. Понастоящем в Европейския съюз има четиринадесет храни, признати като основни хранителни алергени, от които осем са отговорни за приблизително 95% от случаите на ХА: краве мляко, яйца, риба, фъстъци, миди, соя, ядки и пшеница[2,29]. Gupta съобщава, че 40% от алергичните към храни деца имат клинични прояви, свързани със сенсибилизация към няколко храни и с по ­тежък ход на протичането, изискващ приложението на адре

Хранителна алергия

lgE медиирана Смесена

Анафилаксия Уртикария

Ангиоедем

Орален алергичен синдром

Алергичен ринит Астма

Не-lgE медиирана

Атопичен дерматит Еозинофилин гастрит

Еозинофилен езофагит и ентерит

низми синтезират различни малки молекули, които играят важна роля в комуникацията между имунната система на гостоприемника

и коменсалните микроорганизми[27]. Тези разтворими молекули могат да повлияят на различни физиологични процеси като инхибиране на колонизацията на патогенни бактерии, участват и в поддържането на метаболитни

и имунологични функции на гостоприемника[27]. Бактериалната ферментация на диетич -

ни фибри води до генерирането на основния клас чревна микробиота, метаболити, получени от коменсалната флора ­ късоверижни мастни киселини (SCFA). SCFA, включително ацетат, пропионат, бутират и пентаноат имат благоприятни ефекти върху автоимунните и възпалителни нарушения[27]. Те могат пряко

Контактен дерматит Херпетиформен дерматит

Ентероколит, индуциран от хранителни протеини FPIES

Целиакия Heiner’s Syndrome

ти

чревната флора. In vivo, SCFA се състоят главно от оцетна киселина, пропионова киселина и маслена киселина, представляващи около 90 ­95% от общите SCFA. Типовете и броят на SCFA, произведени от бактерии от различни видове в червата, са различни и чревната флора при деца с алергични заболявания е значително различна от тази при нормалните деца. Способността на SCFAs да възстановява числеността и функцията на чревните Treg е демонстрирана при миши модели. При физиологични условия макромолекулите в диетата предизвикват развитието

на SCFA във фецеса още през първите месеци от живота[22,26,28]. Дългосрочна оценка обаче все още липсва[28]. Доказано е, че кърмачетата, които са били изключително кърмени, са имали по ­ ниски нива на общите SCFA: про -

пионат, бутират, изобутират, валерат и изова -

лерат, и по ­ високи нива на междинния продукт ­ метаболити като лактат и сукцинат[28]. Тази информация обаче се базира на единични проучвания.

Мобилизацията на гастроинтестиналната лимфоидна тъкан срещу хранителни антигени определя загубата на толерантност към храните и може да предизвика локални или системни възпалителни отговори, насочени в посока клетъчно ­ медииран (Th1) отговор, хуморален (TH2) отговор или имунен толеранс (Th3)[24]. Фенотипната поляризация

увеличава излагането на хранителни алергени и увеличава вероятността новороденото да развие хранителна алергия[9,25,26].

ХА варира по етиология, провокиращ алерген и тежест, което съществено допринася за трудностите при поставянето на диагнозата. Кръстосаната реактивност между алергените, едновременното наличие на множество хранителни алергени и хранителни непоносимости, допълнително усложнява диагностицирането й като симптомите на ХА и хранителна непоносимост могат да се припокриват[6,10,11,29]

ДИАГНОЗА НА ХРАНИТЕЛНАТА АЛЕРГИЯ Хранителната алергия се подозира

ната стойност на APT при хранителни

алергии поради нестандартизира -

ните методи[16]. Механизмът на APT се основава на патофизиологичния

механизъм на атопичния дерматит, при който незабавните IgE­ медиирани механизми съществуват едновременно с Т­ клетъчно индуцираната забавена свръхчувствителност, която се медиира от дендритни епидер -

мални клетки и Th2 цитокини през

първите 24 часа от теста с премина -

ване към Th1 модел след 48 часа[16]

Протеиново азотно съдържание

между 5 и 7 е подходящата концентрация на алергена за провеждане на

теста като концентрацията е по ­ висока от тази на алергена за кожен прик тест[17,18,19]

Крайъгълният камък в посоката на

диагностиката на хранителната алер -

си остава анамнезата, която тряб -

съпътствана от детекцията на специфични нива на IgE в кръвта

(sIgE) и/или кожен прик тест (SPT). И двата теста имат висока чувствителност, но ниска специфичност.

детектират специфична (sIgE) сенси

билизация,

обаче не е задължително непременно да е свързана с прояви на симптоми[29]

Следващо стъпало в диагностиката на хранителна алергия е оралният провокационен тест, провеждан като двойно ­ сляпа плацебо ­ контролирана хранителна провокация. Последната се приема като златен стандарт в диагностиката, но изисква квалифицирани кадри за провеждането й. Днес диагностиката на хранителната алергия е насочена към разработване на скринингови тестове, намаляващи

1. Lars K. Poulsen & Lone Hummelshoj (2007) Triggers of IgE class switching and allergy development, Annals of Medicine, 39:6, 440-456, DOI: 10.1080/07853890701449354

2. Petra Ina Pfefferle еt al, Cord blood allergen-specific IgE is associated with reduced IFN-g production by cord blood cells: The Protection against Allergy— Study in Rural Environments (PASTURE) study, J Allergy Clin Immunol 2008;122: 711-6.

3. Peters et al., Update on food allergy, Pediatr Allergy Immunol. 2021;32:647–657.

4. Massimo De Martinis 1,2,* Maria Maddalena Sirufo 1,2 , Mariano Suppa 3 and Lia Ginaldi, New Perspectives in Food Allergy, Int. J. Mol. Sci. 2020, 21, 1474; doi:10.3390/ijms21041474

5. B. Niggemann, S. Celik-Bilgili, M. Ziegert, S. Reibel, C. Sommerfeld, and U. Wahn, Specific IgE levels do not indicate persistence or transience of food allergy in children with atopic dermatitis, J Invest Allergol Clin Immunol 2004; Vol. 14(2): 98103

6. Mingxia Wu, Xiaofang Wang, Li Sun and Zongtao Chen*, Associations between food-specifc IgG and health outcomes in an asymptomatic physical examination cohort, Nutrition & Metabolism (2022) 19:22, https://doi.org/10.1186/s12986022-00657-5.

7. Samantha K Davis1 Kevin J Selva1 Stephen J Kent1,2,3 & Amy W Chung1, Serum IgA Fc effector functions in infectious disease and cancer, Immunology & Cell Biology 2020; 98: 276–

286 www.wileyonlinelibrary.com/journal/ icb

8. Woo-Jin Kim, Inseon S. Choi, Chang Seong Kim, Jeong-Hyeon Lee, and HyeonWook Kang, Relationship between serum IgA level and allergy/ asthma, Korean J Intern Med 2017;32:137-145 https://doi. org/10.3904/kjim.2014.160

9. Cinicola, B.L.; Pulvirenti, F.; Capponi, M.; Bonetti, M.; Brindisi, G.; Gori, A.; De Castro, G.; Anania, C.; Duse, M.; Zicari, A.M. Selective IgA Deficiency and Allergy: A Fresh Look to an Old Story. Medicina 2022, 58, 129. https://doi.org/10.3390/ medicina58010129

10. Sari Anthoni, Cow’s milk related gastrointestinal symptoms in adults, ISBN 978-952-10-5622-2 (PDF), Helsinki University Print Helsinki 2009

11. Paul J Bryce, PhD, Balancing Tolerance or Allergy to Food Proteins, Trends Immunol. 2016 October 37(10): 659–667. doi:10.1016/j.it.2016.08.008.

12. Shamji MH, Valenta R, Jardetzky T, et al. The role of allergen-specific IgE, IgG and IgA in allergic disease. Allergy. 2021;76:3627–3641. https://doi. org/10.1111/all.14908

13. Zhenni Zhu,* Bin Zhu,† Chijun Hu,* Yang Liu,* Xiaoli Wang,* Jiajia Zhang,* Fengge Wang* and Maolong Zhu*, Shortchain fatty acids as a target for prevention against food allergy by regulatory T cells, JGH Open: An open access journal of gastroenterology and hepatology 3 (2019) 190–195, doi:10.1002/jgh3.12130

14. TH Lee *,1 ScD(Cantab), FRCP(UK), YY Wu,2 MB, ChB, DABA&I, June KC Chan,1 RD (USA), MSc, HK Ho,3 MD

(HKU), FRCPCH, Philip H Li,4 MB, BS, MRCP, Jaime SD Rosa Duque,3,4 MD, PhD; for the Hong Kong Institute of Allergy, Immunoglobulin G testing in the diagnosis of food allergy and intolerance, Hong Kong Med J 2017;23:419–20 DOI: 10.12809/ hkmj176310

15. Frances Onyimba, MD,* Sheila E. Crowe, MD,‡ Sarah Johnson,§ and John Leung, MD, Food Allergies and Intolerances: A Clinical Approach to the Diagnosis and Management of Adverse Reactions to Food, Clinical Gastroenterology and Hepatology 2021;19:2230–2240, 16. S. Sirin Kose∗ , S. Asilsoy, D. Tezcan, G. Atakul, S. Al, O. Atay, O. Kangalli Boyacioglu, N. Uzuner, O. Anal, O. Karaman, Atopy patch test in children with cow’s milk and hen’s egg allergy: Do clinical symptoms matter?, Allergologia et immunopathologia, Volume 48, (4), July–August 2020, Pages 323-331, https://doi. org/10.1016/j.aller.2020.03.002, 17. Vaidyanathan V, Sarda A, De A, Dhar S. Atopy patch test. Indian J Dermatol Venereol Leprol 2019;85:338-41. 18. K. Turjanmaa1 , U. Darsow2 , B. Niggemann3 , F. Ranc4 , T. Vanto5 , T. Werfel6, EAACI/GA2 LEN Position paper: Present status of the atopy patch test, Allergy 2006: 61: 1377–1384, DOI: 10.1111/j.1398-9995.2006.01136.x

19. Miloš Jeseňák, Peter Bánovčin, ATOPY PATCH TEST IN THE DIAGNOSIS OF FOOD ALLERGY IN CHILDREN WITH ATOPIC DERMATITIS, ACTA MEDICA (Hradec Králové) 2006;49(4):199–201, DOI: 10.14712/18059694.2017.132 • Source: PubMed

20. Eckl-Dorna J, Villazala-Merino S, Linhart B, Karaulov AV, Zhernov Y, Khaitov M, Niederberger-Leppin V and Valenta R (2019) Allergen-Specific Antibodies Regulate Secondary Allergen-Specific Immune Responses. Front. Immunol. 9:3131. doi: 10.3389/fimmu.2018.03131

21. W Atkinson, T A Sheldon, N Shaath, P J Whorwell, Food elimination based on IgG antibodies in irritable bowel syndrome: a randomised controlled trial, Gut 2004;53:1459–1464. doi: 10.1136/ gut.2003.037697

22. Laura A. P. M. Meulenbroek,*,† Renske J. de Jong,* Constance F. den Hartog Jager,* Hanneke N. Monsuur,* Diana Wouters,‡ Alma J. Nauta,†,x Le´on M. J. Knippels,†,{ R. J. Joost van Neerven, ,# Bert Ruiter,** Jeanette H. W. Leusen,†† C. Erik Hack,*,†† Carla A. F. M. Bruijnzeel-Koomen,* Andre´ C. Knulst,* Johan Garssen,†,{ and Els van Hoffen*, IgG Antibodies in Food Allergy Influence Allergen–Antibody Complex Formation and Binding to B Cells: A Role for Complement Receptors, The Journal of Immunology, 2013, 191: 3526–3533

23. Per Brandtzaeg, Why We Develop Food Allergies, American Scientist, Volume 95, 28-35, http://www.americanscientist.org/

24. Suen, Raymond M.;Gordon, Shalima, The clinical relevance of IgG food allergy testing through ELISA (Enzyme-Linked Immunosorbent Assay)., US BioTek Laboratories [c]2004

25. El Ansari YS, Kanagaratham C, Burton OT, Santos JV, Hollister B-MA, Lewis OL, Renz H and Oettgen HC (2022) AllergenSpecific IgA Antibodies Block IgEMediated Activation of Mast Cells and

Basophils. Front. Immunol. 13:881655. doi: 10.3389/fimmu.2022.881655

26. Maria Isabel de Moraes-Pinto a,∗ Fabíola Suano-Souza b,c , Carolina S. Aranda d, Immune system: development and acquisition of immunological competence, Jornal de Pediatria 97 (2021) S59---S66, https://doi.org/10.1016/j. jped.2020.10.006

27. Luu M, Monning H and Visekruna A (2020) Exploring the Molecular Mechanisms Underlying the Protective Effects of Microbial SCFAs on Intestinal Tolerance and Food Allergy. Front. Immunol. 11:1225. doi: 10.3389/ fimmu.2020.01225

28. Łoniewski I, Skonieczna-Zydecka K, ˙ Stachowska L, Fraszczyk-Tousty M, Tousty P and Łoniewska B (2022) Breastfeeding Affects Concentration of Faecal Short Chain Fatty Acids During the First Year of Life: Results of the Systematic Review and Meta-Analysis. Front. Nutr. 9:939194. doi: 10.3389/fnut.2022.939194

29. Daniela Briceno Noriega1 Malgorzata Teodorowicz1 Huub Savelkoul1 Janneke Ruinemans-Koerts, The Basophil Activation Test for Clinical Management of Food Allergies: Recent Advances and Future Directions, Journal of Asthma and Allergy 2021:14 1335–1348, https://doi. org/10.2147/JAA.S237759

30. Wedad Q. AL-Bukhaiti1, Anwar Noman1,2,Amer Mahdi1,3, AL-Farga Ammar, Food Allergy, Classification, Symptoms, Diagnosis and Prevention –Review International Journal of Research in Agricultural Sciences Volume 4, Issue 1, ISSN (Online): 2348 – 3997

ВЪВЕДЕНИЕ Хипотезата за чревната дисбиоза се

основава на новите познания за загубата на разнообразие на човешката микрофлора, и в частност на чревната микробиота. Тя доказва, че нарушаване на баланса между микробиотата и гостоприемника води до смущения в имунната система, свързани с имунологична нетолерантност и появата на атопични заболявания.

Най ­ често срещаните алергични заболявания при децата включват ато -

пичен дерматит, хранителна алер -

гия, медиирана от имуноглобулин Е, бронхиална астма, алергичен ринит и еозинофилен езофагит. Взети заедно, тези състояния са сред преобла

и лигавиците на различните повърхности на тялото. Тези микроорганизми, заедно с техните геномни елементи, микробни структурни елементи, метаболити и условията на околната среда определят човешкия микробиом.

В екосистемата на Земята живеят над 1 трилион микробни вида, а във

и върху тялото на възрастен човек живеят около 3.8 × 1013 бактерии[5,6].

Човешкият стомашно ­ чревен тракт съдържа богата и разнообразна микробна общност, която обединява повече от 100 трилиона

че

160 вида. Доминиращите типове сред чревните микроорганизми са шест ­ Firmicutes, Bacteroidetes, Actinobacteria, Proteobacteria, Fusobacteria и Verrucomicrobia, като два от тях ­ Firmicutes и Bacteroidetes са основни и представляват 90% от чревната микрофлора[8]

Типът Firmicutes е съставен от повече от 200 различни рода, като тук са Lactobacillus, Bacillus, Clostridium, Enterococcus и Ruminicoccus. Родовете Clostridium представляват 95 % от типа Firmicutes. Bacteroidetes се състои от преобладаващи родове

Bacteroides и Prevotella[9].

рода Bifidobacterium, типът Actinobacteria

Съставът на чревната микробиота е

най ­динамичен през първите години от живота, когато разнообразието на чревната микробиота се увеличава бързо. Той достига своята стабилност по отношение на разпределението на доминиращия филум бактерии на тригодишна възраст[1]. Освен силно променлива, чревната микробиота през първите три години след раждането е с по ­ нисък индекс на разнообразие – около 1000 оперативни таксономични единици (OTU), открити през първата година от живота, в сравнение с почти 2000 след това и с по ­ голяма междуиндивидуална вариабилност[10]

Колонизацията на червата при човека започва още пренатално – вътреутробно, с ограничен брой бактерии, от видовете Lactobacillus, Staphylococcus и Micrococcus. Плацентата е домакин на специфична микробиота, която включва непатогенна коменсална микробиота, наподобяваща оралната микробиота на майката.

При раждането, червата на новоро -

деното са аеробна среда, в която могат да растат само факултативни анаероби, като членовете на семейство Enterobacteriaceae. Впоследствие излагането на микроби, както и тяхното поглъщане се случва при преминаването през родилния канал. В рамките на няколко дни, чревният лумен става анаеробен, което позволява колонизиране на строги анаероби, като рода Bifidobacterium, Clostridium и Bacteroides. През първите няколко седмици микробиотата на червата на новороденото наподобява кожата на майката и вагиналния микробиом ­ като Enterococcaceae, Streptococcaceae, Lactobacillaceae, Clostridiaceae и Bifidobacteriaceae са преобладаващи бактериални

разграждат

ензимите на гостоприемника, предизвиква увеличаване на наличието на представителите на Bacteroides, Clostridium, Ruminococcus и намаляване на род Bifidobacterium и Enterobacteriaceae. През следващите 12­36 месеца чревната микробиота

разви

ва до подобна на възрастен, изобилстваща от родовете Ruminococcaceae, Lachnospiraceae (тип Firmicutes), Bacteroidaceae и Prevotellaceae (тип Bacteroidetes). Прогресивното намаляване до 18 ­ месечна възраст на типовете Actinobacteria (род Bifidobacteriaceae), Proteobacteria и Verrucomicrobia, както и на представители от рода Clostridiaceae и Enterobacteriaceae е познато като т. нар. „съзряване на здравата микробиота“.

ЧРЕВНА МИКРОБИОТА

ЗАБОЛЯВАНИЯ Хипотезата за „първите 1000 дни“

счита, че средата, в която живее детето от оплождането до 2­ годишна възраст значително влияе върху риска от развитие на хронични

алергични заболявания. Кърмаческата възраст е най ­ важният период, през който дисбиозата на чревната микробиота може да доведе до развитието на множество

бронхиална астма. Метаанализите на тези проучвания отбелязват около 20% повишен риск от астма, свързан с раждане чрез Цезарово сечение[11] Понастоящем се провеждат множество изследвания върху ролята на антибиотиците по време на „критичния прозорец“ за повишаване на риска от бронхиална астма при хората, но отрицателни ефекти на антибиотиците върху микробиома са доказани при мишки. Известно е, че този „критичен прозорец“ е важен за алергичното възпаление на дихателните пътища: антибиотичното

във видовото разнообразие между

кърмени и некърмени деца, доказателство за влиянието му е и бър -

зо настъпващата промяна на микро -

биотата към „подобна на възрастни“

при кърмени бебета след отбиване.

Това доказва водещо въздействие на

компонентите на кърмата върху състава на чревната микробиота. Кърмата влияе върху развитието на чревната микробиота на бебето, от една страна, като служи като източник на хранителни вещества за чревните

микроорганизми, и от друга страна

предавайки микроби, присъстващи

в самата кърма към зараждащата се

микробна общност на бебето. Учени -

те търсят връзка между разпростра -

нението на алергичните заболявания

и нивото на кърмене, но резултатите са противоречиви. Например, според

Kolokotroni и сътр., децата, родени

чрез Цезарово сечение са изложе -

ни на повишен риск от развитие на

бронхиална астма по ­ късно в живота

си, но van Nimwegen и сътр. твърдят, че начинът на раждане е по ­ малко

важен в сравнение с мястото на раждане (в болница или в дома) за връзката чревна микробиота – астма[14,15]

Подобно на Цезаровото сечение, съществуват данни за връзка между кърменето, микробиотата и атопията, но установяването на причинно ­ следствена връзка между тях изисква допълнителни изследвания. Нарастващите доказателства за корелация между промените в чревната микробиота и алергичните заболявания подкрепят идеята, че коригирането на чревната дисбиоза

може да се използва за лечение на алергично възпаление. Интересното е, че проведените проучвания, базирани на добавяне на пробиотик с цел възстановяване на нормалната чревна микробиота, отбелязват, че докато пробиотиците, изследвани до момента, не са предотвратили изявата на бронхиална астма, то те сигурно намаляват атопичната сенсибилизация и екземата. Световната организация по алергология препоръчва прием на пробиотици за първична профилактика на екзема по време на бременност и по време на кърмене, когато има висок риск от алергично заболяване (въз основа на положи

2.

3. Gabryszewski SJ et al., Patterns in the Development of Pediatric Allergy. Pediatrics. 2023 Aug 1;

следвания

на видовото разнообразие в микробиота

на тази група деца. Това е възможно, от една страна, чрез добавяне на пробиотик в млечните формули ­ Bifidobacterium breve, щам, който обичайно се изолира от червата на здрави, кърмени новородени или от кърма. Включването на пребиотик, смес от галактоолигозахариди и фруктоолигозахариди (scGOS/ lcFOS), цели максимално доближаване до количеството, разнообразието и функцията на човешките млечни олигозахариди (HMOs) в кърмата. Тази комбинация – про ­ и пребиотик има синбиотичен ефект. Това допълнително нормализира видовото разнообразие чрез възстановяване на

4. Olteanu, G et al., Unraveling the Microbiome–Human Body Axis: A Comprehensive Examination of Therapeutic Strategies, Interactions and Implications. Int. J. Mol. Sci. 2024, 25

5. Bar-On, Y.M.; Phillips, R.; Milo, R. The biomass distribution on Earth. Proc. Natl. Acad. Sci. USA 2018, 115, 6506–6511

6. Sender, R.; Fuchs, S.; Milo, R. Revised Estimates for the Number of Human and Bacteria Cells in the Body. PLoS Biol. 2016, 14

7. Thursby E., Juge N. Introduction to the human gut microbiota. Biochem. J. 2017;474

8. Laterza L. et al., The gut microbiota and immune system relationship in human graft-versus-host disease. Mediterr. J. Hematol. Infect. Dis. 2016

9. Rinninella E. et al., What is the Healthy Gut Microbiota Composition? A Changing Ecosystem across Age, Environment, Diet, and Diseases. Microorganisms. 2019 Jan 10;

2.

кърмене през

вите

след раждането, последвано от продължаване на кърменето с постепенно въвеждане на безопасни и подходящи захранващи храни.

3. Употребата

10. Arrieta Marie-Claire, et al., The Intestinal Microbiome in Early Life: Health and Disease, Frontiers in Immunology, Volume 5 - 2014

11. Aaron Ver Heul, et al., The human microbiota and asthma, Clin Rev Allergy Immunol. 2019 Dec;

12. Ver Heul A, Planer J, Kau AL. The Human Microbiota and Asthma. Clin Rev Allergy Immunol. 2019 Dec.

13. Romano-Keeler J, Sun J. The First 1000 Days: Assembly of the Neonatal Microbiome

and Its Impact on Health Outcomes. Newborn (Clarksville). 2022;1(2):219-226

14. Van Nimwegen FA, et al. Mode and place of delivery, gastrointestinal microbiota, and their influence on asthma and atopy. J Allergy Clin Immunol, 2011

15. Kolokotroni O, et al., Asthma and atopy in children born by caesarean section: effect modification by family history of allergies –a population based cross-sectional study. BMC Pediatr 2012

16. WAO - www.worldallergy.org

ХАРАКТЕРИСТИКИ И ПРЕДИМСТВА

НА АДАПТИРАНИТЕ МЛЕКА

• Адаптираните млека имат пълно -

ценен аминокиселинен профил и

съдържание на протеини близко

до това в кърмата. Имат висок ко -

ефициент на ефективност на бел -

тъка (PER), отразяващ връзката

между хранителния внос на бел -

тък и наддаването на тегло.

• Разработват се на база най ­ близко съдържание на белтъци, мазнини и въглехидрати до това в

кърмата и спрямо нуждите на

кърмачетата за растеж и развитие в определена възраст.

• Допълнително се обогатяват с витамини и минерали, необходими

за растежа.

• Добавянето на пребиотици ­ галакто ­ олигозахариди (GOS) и фрукто ­ олигозахариди (FOS) поХранене

чието на активни пробиотични култури ­ Bifidobacterium lactis, Lactobacillus reuteri, Lactobacillus fermentum оптимизира чревната флора и подобрява мотилитета на гастро ­ интестиналния тракт. • Адаптираните млека се обогатяват с полиненаситени мастни киселини (ПНМК) ­ линолова, α ­линоленова, докозахексаенова и арахидонова киселина. Добавянето на докозахексаенова киселина (ДНА) и арахидонова киселина (ARA) благоприятства развитието на мозъка, зрението и имунната система на кърмачетата[5]. Алфа ­линоленовата киселина се метаболизира до дълговерижна докозахексаенова киселина (ДНА), която е важен

развива субтотална вилозна атрофия при хранене с краве мляко. Спира се храненето със стандартна формула адаптирано мляко и с кисело мляко и се преминава на хранене със специално разработени адаптирани формули с екстензивно хидролизиран суроватъчен протеин с късоверижни аминокиселини, без β ­лактоглобулин. Толерансът към мляко най ­ често се възстановява до 3 год.

възраст.

ХРАНЕНЕ ПРИ ЛАКТОЗНА НЕПОНОСИМОСТ

Проявява се с колики, метеоризъм

и диария 30 мин. до 2 ч. след прием

на мляко, свързва се с преходен или

вроден ензимен дефицит на лакта -

за в кърмаческа възраст [4]. Кърмачетата са неспокойни, с балониране

на корема, повръщане и диспептич -

ни изхождания с кисела миризма.

Храненето е с безлактозно мляко (lactose free адаптирани формули)

и безмлечни каши. С положителен ефект

АДАПТИРАНИ МЛЕКА

• Адаптирани формули с хидролизиран протеин, намалено съдържание на лактоза и модифицирани мазнини, лесни за храносмилане, подходящи при кърмачета с колики и запек.

• НА формули с частично хидролизирани протеини за намаляване риска от развитие на алергия.

• Адаптирани формули с екстензивно хидролизиран суроватъчен протеин с късоверижни аминокиселини, без

и хранителен интолеранс.

• Безлактозни формули за диетич

2008, 3-11

9. Michaelsen K. Weaver L, Branca F, Robertson A. Feeding and nutrition of infants and young children. Guidelines for the WHO European regions with emphasis on the former Soviet countries. WHO, Regional Office for Europe, Copenhagen, WHO Regional Publications, European Series, № 87, 2003 10. World Health Organization, Optimal Duration of Exclusive Breastfeeding, Report of an expert consultation, Geneva, Switzerland, 28-30.03.2001 11. World Health Organization, UNICEF, Global strategy of infant and young children feeding, Geneva, WHO, 2003 12. WHO, Guiding principles for complementary feeding of the breastfed child, World Health Organization, 2001

TÖPFER

LACTANA® BIO 1

-

Сега с нова усъвършенствана рецепта:

Доказано качество от Töpfer във всички био млечни

формули с козе мляко:

Ново: съдържат GOS (галактоолигозахариди)

Ново: съдържат Бифидобактерии (B.breve, B.bifidum, B.infantis, B.longum)

Ново: био млеката на Töpfer с козе мляко не съдържат палмово масло Ново: съдържат DHA* от

водорасли (без рибено масло)

1 Maathuis A., Havenaar R., He T., Bellmann S.: Protein digestion and quality of goat and cow milk infant formula and human milk under simulated infant conditions. Journal of Pediatric Gastroenterology and Nutrition. 2017;65(6):661–666. doi:10.1097.

2 Zhou, Shao J.; Sullivan, Thomas; Gibson, Robert A.; et al. (2014): Ernährungsphysio- logische Eignung von Säuglingsnahrung aus Ziegenmilch für Neugeborene. British Journal of Nutrition: doi:10 .1017.

1

2

3Медицински факултет, МУ - София

4Клиника по оперативна гинекология, УМБАЛСМ „Пирогов“

Вулвовагинална

ЕПИДЕМИОЛОГИЯ ВВК се регистрира при приблизително 75% от жените в репродуктивна възраст, като около 40 ­50% от тях

преживяват повтарящи се епизоди, а приблизително 5 ­ 8% развиват хро -

нично ­ рецидивираща форма (дефи -

нирана като ≥4 клинични епизода годишно). Заболеваемостта е най ­ висока в периода между 20 и 40 ­ го -

дишна възраст, като след настъпване на менопауза честотата намалява, освен при приложение на хормонозаместителна терапия. Макар и непринадлежащи към класическите

РИСКОВИ ФАКТОРИ

Патогенезата на ВВК е свързана с нарушение на нормалния баланс между полезните и вредните микроорганизми във вагиналната микрофлора и локалните имунни механизми.

Следните рискови фактори се считат за особено значими: • Антибактериална терапия: широкоспектърните антибиотици редуцират популацията на Lactobacillus spp., водещи до вагинална дисбиоза и свръхрастеж на Candida spp. Данни от България също предполагат такава зависимост, макар и на базата на по ­ ограничени епидемиологични изследвания, като практиката на самолечение и лесният достъп до антибиотици допълнително усилват риска.

• Хормонални влияния: бременност, прием на естроген ­ съдържащи контрацептиви или естрогенозаместителна терапия во -

повишено гликогеново натрупване

улесняват кандидозния растеж. Проучвания показват, че бременните жени имат по ­ висока честота на вулвовагинална кан -

дидоза в сравнение с небременни жени, като честотата варира между 30–40% при бременни спрямо около 20% при небременни. Това се дължи на повишените естрогенови нива, имунологичните промени и увеличения гликоген в епитела. По отношение на пациентките в менопауза, жените, които приемат хормонозаместителна терапия (ХЗТ), демонстрират по ­ висока честота на кандидоза в сравнение с тези, които не получават такава терапия, поради възстановяване на благоприятна среда за развитие на Candida spp.

• Имуносупресивни състояния: включително декомпенсиран захарен диабет, HIV инфекция, употреба на кортикостероиди и цитостатични медикаменти.

• Сексуално поведение: честа смяна на партньори, използване на спермицидни сред

Ефективната превенция на ВВК изисква мултидисциплинарен и индивидуализиран подход, който да обхваща следните компоненти: • Рационално използване на антибиотици:

1. Избягване на емпирична употреба без потвърдена диагноза и без наличие на обосновани клинични индикации.

2. Стриктно индициране на антибиотичната терапия чрез предварителна клинична оценка

3. Използване на микробиологична диагностика (например посявка и антибиограма) за потвърждаване на бактериалния причинител.

4. Ограничаване на продължителността на терапията до строго необходимия минимум, за да се намали рискът от развитие на резистентност и дисбиоза.

5. Предпочитане на антибиотици с възможно най ­тесен спектър на действие, когато това е клинично приложимо, с цел запазване на нормалната микрофлора.

• Подкрепа на вагиналната микробиота: чрез приложението на вагинални или орални пробиотици, съдържащи специфични щамове Lactobacillus rhamnosus GR­1 и Lactobacillus reuteri RC­14[2].

• Борната киселина се утвърждава като полезна алтернатива при рецидивира

Други вещества, доказано подо -

бряващи симптоматичното и ети -

ологичното лечение на заболя -

ването, са млечната киселина и ­ β ­ глициретинова киселина ­ обе -

щаваща алтернатива или допъл -

нение към антибиотиците при

бактериална вагиноза, особено при рецидивиращи и леки фор -

ми. Млечната киселина възстано -

вява вагиналното pH, инхибира

патогенни биофилми и подпома -

га колонизацията с Lactobacillus

spp., като по този начин възстано -

вява нормалния микробиом. Дан -

ни от рандомизирани проучвания

показват значимо клинично по -

добрение и по ­добра поносимост

при профилактична употреба. Бла -

годарение на добрия профил на

безопасност, млечната киселина е

приложима и по време на бремен -

ност (от 5 ­ти месец) и при смесени

инфекции, имат антиулцерозен, противовъзпалителен и имуномодулиращ ефект[14].

• Поликарбофилът показва потенциал като ефективно допълващо средство при бактериална вагиноза, подобрявайки клиничните и микробиологичните показатели

и възстановяване на вагиналната флора, аминната миризма и броя на clue клетките. Поликарбофилът е добре поносим и не предизвиква сериозни нежелани реакции. Съставката е подходяща за безопасна и ефективна поддържаща терапия при рецидивиращи случаи[15]

• Растителните вагинални супозитории, съдържащи екстракти от

билки като лайка, невен, жълт

кантарион и масло от чаено дърво, демонстрират висока ефикасност и безопасност при лечение на неспецифичен вагинит. Формулата с масло от чаено дърво показва

1. Achkar, Jacqueline M, and Bettina C Fries. “Candida infections of the genitourinary tract.” Clinical microbiology reviews vol. 23,2 (2010): 253-73. doi:10.1128/ CMR.00076-09

2. Borges, Sandra et al. “The role of lactobacilli and probiotics in maintaining vaginal health.” Archives of gynecology and obstetrics vol. 289,3 (2014): 479-89. doi:10.1007/s00404-013-3064-9

3. Fidel PL, Sobel JD.1996. Immunopathogenesis of recurrent vulvovaginal candidiasis. Clin Microbiol Rev 9:.https://doi.org/10.1128/cmr.9.3.335

4. Foxman, Betsy et al. “Prevalence of recurrent vulvovaginal candidiasis in 5 European countries and the United States: results from an internet panel survey.” Journal of lower genital tract disease vol. 17,3 (2013): 340-5. doi:10.1097/

LGT.0b013e318273e8cf

5. Iavazzo, Christos et al. “Boric acid for recurrent vulvovaginal candidiasis: the clinical evidence.” Journal of women's health (2002) vol. 20,8 (2011): 1245-55. doi:10.1089/jwh.2010.2708

6. Linhares, Iara Moreno et al. “New findings about vaginal bacterial flora.” Revista da Associacao Medica Brasileira (1992) vol. 56,3 (2010): 370-4. doi:10.1590/s010442302010000300026

7. Mendling, Werner et al. “Guideline: vulvovaginal candidosis (AWMF 015/072), S2k (excluding chronic mucocutaneous candidosis).” Mycoses vol. 58 Suppl 1 (2015): 1-15. doi:10.1111/myc.12292

8. Rosati, Diletta et al. “Recurrent Vulvovaginal Candidiasis: An Immunological Perspective.”

Microorganisms vol. 8,2 144. 21 Jan. 2020, doi:10.3390/microorganisms8020144

9. Satora, Małgorzata et al. “Treatment of Vulvovaginal Candidiasis-An Overview of Guidelines and the Latest Treatment Methods.” Journal of clinical medicine vol. 12,16 5376. 18 Aug. 2023, doi:10.3390/ jcm12165376

10. Sobel, J D et al. “Vulvovaginal candidiasis: epidemiologic, diagnostic, and therapeutic considerations.” American journal of obstetrics and gynecology vol. 178,2 (1998): 203-11. doi:10.1016/s00029378(98)80001-x

11. Sobel, J. D. (2016). Recurrent vulvovaginal candidiasis: a prospective study of the efficacy of maintenance antifungal therapy. Current Infectious Disease Reports, 18(10), 33. doi:10.1007/ s11908-016-0543-9

12. Sobel, Jack D. “Vulvovaginal candidosis.” Lancet (London, England) vol. 369,9577 (2007): 1961-71. doi:10.1016/ S0140-6736(07)60917-9

13. Willems, Hubertine M E et al. “Vulvovaginal Candidiasis: A Current Understanding and Burning Questions.” Journal of fungi (Basel, Switzerland) vol. 6,1 27. 25 Feb. 2020, doi:10.3390/ jof6010027

14. The Role of Lactic Acid in the Management of Bacterial Vaginosis: A Systematic Literature Review Werner Mendling 1 , Maged Atef El Shazly 2 and Lei Zhang 2,* 15. The effect of polycarbophil gel (ReplensTM) on bacterial vaginosis: A pilot study Justine P. Wu a, *, Stephen L. Fielding b Kevin Fiscella c,; EconazolePolycarbophil, a New Delivery System for Topical Therapy: Microbiological and Clinical Results on Vaginal Candidiasis P.M. FURNERI 1 - S. CORSELLO 2 - G. MASELLIS 3 - M. SALVATORI 3 - E. CAMMARATA 1 L.S. ROCCASALVA 1 - A. MANGIAFICO 1 - G. TEMPERA 1; Short and long-term effect of polycarbophil vaginal gel on vaginal atrophy of peri- and post-menopausal women. The TRIPLE study Angelo Cagnacci a,* , Dionisio Franco Barattini b, Elena Casolati c Mario Mangrella d, Elena Piccolo d Roberto Piazza d , Alberto Pecoroni e , Serban Rosu f Livian Cristian Patrașcu ˘ g; 16. Efficacy and safety of three plant extracts based formulations of vagitories in the treatment of vaginitis: a randomized controlled trial Kemal Durić1 Selma Kovčić Hadžiabdić2 , Mahira Durić3 , Haris Nikšić1 Alija Uzunović4 Hurija Džudžević Čančar1

клиника, СБАЛАГ „Майчин дом“ - София, 2

по Акушерство и гинекология, МФ, МУ - София, 3Медицински факултет, МУ - София, 4Клиника по оперативна гинекология, УМБАЛСМ „Н. И. Пирогов“ - София, 5Национален център по заразни и паразитни заболявания, МУ – София, 6

МИКРОБИОМЕН ДИСБАЛАНС,

ХРОНИЧНО ВЪЗПАЛЕНИЕ И

ИМУНОМОДУЛАЦИЯ

Здравата вагинална микробиота се

доминира от Lactobacillus spp., които

поддържат ниско pH чрез млечна ки-

селина и предпазват епитела от патогени. Дисбиозата, например при бактериална вагиноза, се характеризира с намаляване на лактобацилите и повишено разнообразие от анаеробни бактерии (Gardnerella, Prevotella, Atopobium, Mobiluncus и др.)[1]. Вагиналната микробиота се

промотор на канцерогенезата: продължителната активация на вродения имунитет от микробни компоненти (напр. липополизахариди, флагелини) води до активиране на Toll­подобни рецептори (TLRs) и низходящо до провъзпалителни сигнални пътища като NF­κB, Janus киназа/STAT3 и PI3KAkt­mTOR. Тези възпалителни пъти

ХОРМОНАЛНО ЗАВИСИМИ И МЕТАБОЛИТНИ ВЗАИМОДЕЙСТВИЯ

Микробиомът участва в осъществяването на т.нар. „естроболом“ – съвкупността от бактериални гени, участващи в метаболизма на естрогените. Чревните бактерии, произвеждащи β ­ глюкуронидаза, могат да реактивират екскретираните конюгирани естрогени и да повишат системните нива на свободен естроген. Това е особено значимо за хормон ­зависими тумори като ендометриалния карцином и някои овариални карциноми[4].

Дисбиозата на чревния микробиом може да доведе до свръхекспозиция на естрогени и

да стимулира естроген ­ чувствителната пролиферация на ендометриума. Изследвания сочат, че промените в чревната флора – на -

пример намаляване на продуциращите късо -

верижни мастни киселини (SCFAs) бактерии –

повишават системното възпаление и риска от хормонално зависими ракoве. Обратно, нормалната чревна микробиота произвежда изо -

билно SCFAs (бутират, пропионат), които имат

противовъзпалителни свойства и могат да

потискат туморогенезата (намалявайки на -

пример IL­ 6 продукцията)[5,6].

Метаболитният синдром и затлъстяването –известни рискови фактори за ендометриален

карцином – също се свързват с микробиомни

изменения. Затлъстелите жени демонстрират

по ­ голямо вагинално микробно разнообра -

зие и по ­ слаба доминация на Lactobacillus, сравнено с жени с нормално тегло. Това може

да отразява провъзпалително микробно състояние, допринасящо за инсулинова резистентност и хронично възпаление, улеснявайки онкогенезата.[7]. Интересно е, че при значимо отслабване (напр. след бариатрична хирургия) съставът на вагиналния микробиом частично се „нормализира“ с повишаване дела на Lactobacillus, което подсказва потенциална връзка между метаболитния статус, микробиома

ВИРУСИ И КОИНФЕКЦИИ В

ОНКОБИОМА Инфекциите с високоонкогенни вируси са класически примери за микробен принос към рака. HPV е отговорен за >95% от случаите на

карцином на маточната шийка, както и значителна част от вагиналните, вулварните и аналните карциноми. Високорисковите щамове (най ­ вече HPV16 и 18) експресират онкопротеините E6 и E7, които деградират тумор ­ супресорите p53 и ретинобластомния

протеин (pRb), отключвайки неконтролируем

клетъчен цикъл[9]. Персистенцията на HPV инфекцията и прогресията към неоплазия обаче се влияят от съпътстващия микробиом. Доказано е, че дисбиотичната вагинална флора улеснява персистирането на HPV. Gardnerella vaginalis и Fannyhessea (Atopobium) vaginae, основни причинители на бактериална вагиноза, образуват био ­ филм върху цервикалния епител, който може да защити HPV от изчистване

цервикални интраепителни неоплазии (CIN2/3) и карцином[10]

Коинфекции с други патогени също засилват

онкогенния потенциал на HPV. Хроничната инфекция с Chlamydia trachomatis – чест при -

чинител на цервицити – е независим рисков фактор за цервикален рак, особено в при -

съствието на HPV. Комбинираната инфекция

уврежда тъканите и предизвиква продължително възпаление, като е установено, че жени с антитела срещу хламидиален Pgp3 протеин имат ~двукратно по ­ висок риск от овариален карцином и също повишен риск от цервикален рак. C. trachomatis може да индуцира

ват предимно чрез директни онкогенни меха

низми, микробиомът влияе върху вирусната патогенеза – например, възпалителната среда при дисбиоза може да повиши експресията на вирусни онкогени или да потисне ан -

тивирусния имунитет, като така съчетава ефектите си с тези на вирусите[12].

МИКРОБИОМЕН ПРОФИЛ ПРИ СПЕЦИФИЧНИ ГЕНИТОУРИНАРНИ ТУМОРИ  Карцином на маточната шийка (цервикален карцином) Цервикалният карцином е модел за взаимо -

действие между вирусна етиология и бактериален онкобиом. Както беше отбелязано, персистенцията на HPV е необходима, но недостатъчна причина – съпътстващата вагинална дисбиоза ускорява прогресията към рак. При здрави жени цервиковагиналният микробиом (CVM) е беден на разнообразие и над 90% от бактериите са Lactobacillus spp. (най ­ вече L. crispatus, L. iners, L. gasseri, L. jensenii). С нарастване на степента на церви -

калната неоплазия, делът на Lactobacillus намалява, pH се повишава и се наблюдава цялостен преход към анаеробна полимикробна

общност. Жените с високи степени на сква -

мозни интраепителни лезии (HSIL) и инвази -

вен рак имат по ­ висока вагинална микробна α­ разнообразност и по ­ често присъствие на родове като Gardnerella, Prevotella, Sneathia, Fannyhessea (Atopobium) и Streptococcus, в

сравнение със здрави или с нискостепенни лезии[13]

Конкретни таксони са предложени като био -

маркери за цервикална неоплазия. Напри -

мер, висока абундантност на Fusobacterium, Peptostreptococcus, Campylobacter и Haemophilus е установена при

 Ендометриален карцином Дълго време матката се считаше

Lactobacillus, Gardnerella, Prevotella

Bacteroides,

намалена микробна раз

нообразност

доминация на няколко фило ­ родови групи. Систематичен преглед установява, че четири типа бактерии – Bacteroidetes, Firmicutes, Actinobacteria и Proteobacteria – са най ­ силно представени при пациентки с ЕК. Тези бактерии включват анаероби като Bacteroides fragilis, Prevotella spp., актинобактерии (Gardnerella, Atopobium), факултативни грам ­ отрицателни (Escherichia coli, Enterobacteriaceae) и др.[14]. В няколко проучвания при ЕК се отчита "микробиомен шифт": с влошаване на

насят за канцерогенезата чрез хронично субклинично възпаление на ендометриума. Постменопаузалните жени, които съставляват мнозинството от случаите на ЕК, имат атрофична лигавица с по ­ високо pH, благоприятстващо растежа на анаероби. Често при тях се срещат Mobiluncus curtisii и Dialister pneumosintes – бактерии, свързвани с бактериална вагиноза – значимо по ­ често в ендометриални проби от пациентки с карцином, отколкото при здрави контроли. Смята се, че тези бактерии могат да проникнат високо от влагалището към ендометриума (напр.

по време на менструация или сексуален контакт), където да инициират хроничен ендометрит. В подкрепа, жени с хронично възпаление на ендометриума (напр. от Mycoplasma

или Chlamydia) и с анамнеза за ендометриоза

имат повишен риск от ЕК. Получава се затворен кръг: възпалението причинява епително увреждане и освобождаване на растежни фактори, което води до хиперплазия, а тя от своя страна е благоприятна среда за дисбиоза поради нарушена тъканна хомеостаза.

Допълнителен системен фактор е чревният микробиом: при ЕК се открива по ­ ниска α­ разнообразност в червата и промени, сходни с тези при затлъстяване. Дисбиозата увеличава чревната пропускливост и позволявa транслокaция на бактериални компоненти в циркулацията, което поддържа нискостепенно възпаление (повишен CRP, IL­ 6). Едновременно, хиперестрогенемията при затлъстяване/синдром на поликистозни яйчници може да промени вагиналната микробиота, като намали лактобацилите. Така хормоналните, метаболитни и микробни фактори се преплитат в патогенезата на ЕК. [15]

Въпреки напредъка, механизмите остават мул тифакторни и не напълно изяснени, което налага проучвания върху

бактерии могат епигенетично да препрограмират овариалната микросреда.

Микробиота и терапевтичен отговор при

ОК: Нови изследвания проучват микробиома като маркер за отговор към лечение. Установено е, че съставът на вагиналния микробиом

може да влияе върху успеха на химиотера -

отговор, докато наличието на определени анаероби – с химиорезистентност (тези връзки все още се изясняват). Обсъждат се експериментални

подходи като трансплантация на фекална микробиота (FMT)

имунния отговор

чувствителността към химиотерапия. Макар и все още в ранна фаза, тези идеи подчертават колко тясно е преплетен микробиомът с патогенезата и лечението на ОК.  Уроетелиален карцином на пикочния мехур Уроетелиалният (преходноклетъчен) карцином на пикочния мехур (ПК) е сред най ­ честите злокачествени заболявания на пикочните пътища. Традиционните рискови фактори включват тютюнопушене, професионални химикали и хронични възпаления на мехура. Вече е ясно, че уринарният тракт не е стерилен – наличен е уринен микробиом (уробиом), макар и с по ­ ниска плътност от чревния. Уробиомът при здрави жени е доминиран от Lactobacillus, Gardnerella, Streptococcus, Staphylococcus и др., като съставът варира

систиращата бактериална стимула -

ция води до хроничен цистит с ак-

тивация на възпалителни каскади. Както бе разгледано, микробната

дисбиоза може да индуцира постоянно освобождаване на цитокини и растежни фактори, които поддържат пролиферацията на уроетелиума и акумулирането на ДНК увреждания. При това състояние, повторното

делене на увредени клетки увеличава вероятността от онкогенни мутации. Например, Streptococcus anginosus (от Streptococcus viridans

групата) е изолиран с висока често -

та от туморна тъкан на пикочен мехур и предполагаемо допринася чрез

нитрозамини и възпаление. Също така, Schistosoma инфекцията в ендемичните райони, както беше спо -

менато, е класически пример за хро -

нично грануломатозно възпаление, което води до рак. При нейнo отсъствие, в индустриализираните страни,

бактериалните уринарни инфекции и интестиналната дисбиоза (чрез системни ефекти) са основните микробиомни фактори[16]

ЗАКЛЮЧЕНИЕ Микробиомът на урогениталния тракт се утвърждава като важен „скрит играч“ в патогенезата на гинекологичните тумори. Доказателствата сочат, че дисбиозата – било то във влагалището, матката, червата или уринарния тракт – може да създаде туморогенна среда чрез хронично възпаление, имунни нарушения, хормонални промени и директни онкогенни ефекти. Взаимодействието между микробиом и имунна система е двупосочно: микробите могат както да стимулират противотуморни ре

1. Chen X, Lu Y, Chen T, Li R. The Female Vaginal Microbiome in Health and Bacterial Vaginosis. Front Cell Infect Microbiol. 2021 Apr 7;11:631972. doi: 10.3389/fcimb.2021.631972. PMID: 33898328; PMCID: PMC8058480.

2. Moosa Y, Kwon D, De Oliveira T, Wong EB. Determinants of vaginal microbiota composition. Front Cell Infect Microbiol. 2020;10:467. (Evaluation the influence of a woman's vaginal microbiota on sexual and reproductive health, addressing gaps in understanding the determinants of its composition and advocating for comprehensive research.)

3. Tomasello G., Mazzola M., Leone A., Sinagra E., Zummo G., Farina F., Damiani P., Cappello F., Gerges Geagea A., Jurjus A., et al. Nutrition, oxidative stress and intestinal dysbiosis: Influence of diet on gut microbiota in inflammatory bowel diseases. Biomed. Pap. Med. Fac. Univ. Palacky Olomouc Czech

Repub. 2016;160:461–466. doi: 10.5507/ bp.2016.052. [DOI] [PubMed] [Google Scholar]

4. Stabile G, Doria A, Bruno M, D'Indinosante M, Gallotta V, Fanfani F, Scambia G, Restaino S, Vizzielli G, Carlucci S, Nappi L. The Role of the Endometrial Microbiota in Endometrial Cancer: A Systematic Review of the Literature. J Clin Med. 2024 Nov 25;13(23):7135. doi: 10.3390/jcm13237135. PMID: 39685594; PMCID: PMC11642298.

5. Hakimjavadi H., George S.H., Taub M., Dodds L.V., Sanchez-Covarrubias A.P., Huang M., Pearson J.M., Slomovitz B.M., Kobetz E.N., Gharaibeh R., et al. The vaginal microbiome is associated with endometrial cancer grade and histology. Cancer Res. Commun. 2022;2:447–455. doi: 10.1158/2767-9764.CRC-22-0075. [DOI] [PMC free article] [PubMed] [Google Scholar]

6. Stabile G, Doria A, Bruno M,

D'Indinosante M, Gallotta V, Fanfani F, Scambia G, Restaino S, Vizzielli G, Carlucci S, Nappi L. The Role of the Endometrial Microbiota in Endometrial Cancer: A Systematic Review of the Literature. J Clin Med. 2024 Nov 25;13(23):7135. doi: 10.3390/jcm13237135. PMID: 39685594; PMCID: PMC11642298.

7. Greathouse KL, et al. Gut microbiome meta-analysis reveals dysbiosis is independent of body mass index in predicting risk of obesity-associated CRC. BMJ Open Gastroenterol. 2019;6(1):e000247.

8. Mostafa MH, Sheweita SA, O'Connor PJ. Relationship between schistosomiasis and bladder cancer. Clin Microbiol Rev. 1999 Jan;12(1):97-111. doi: 10.1128/ CMR.12.1.97. PMID: 9880476; PMCID: PMC88908.

9. Weerakkody Y, Campos A, Yap J, et al. Cervical carcinoma. Reference article, Radiopaedia.org (Accessed on 25 Apr

2025) https://doi.org/10.53347/rID-13318

10. Mitra, A., MacIntyre, D.A., Ntritsos, G. et al. The vaginal microbiota associates with the regression of untreated cervical intraepithelial neoplasia 2 lesions. Nat Commun 11, 1999 (2020). https://doi. org/10.1038/s41467-020-15856-y

11. Zheng, J.; Zhao, R.; Deng, C. Correlation analysis of vaginal flora and immune function Th1/Th2 imbalance in women with high-risk HPV infections in the female reproductive tract. Cell. Mol. Biol. 2024, 70, 128–133

12. Verteramo, R.; Pierangeli, A.; Mancini, E.; Calzolari, E.; Bucci, M.; Osborn, J.; Nicosia, R.; Chiarini, F.; Antonelli, G.; Degener, A.M. Human Papillomaviruses and genital co-infections in gynaecological outpatients. BMC Infect. Dis. 2009, 9, 16

14. Semertzidou, A., Whelan, E., Smith, A. et al. Microbial signatures and continuum in endometrial cancer and benign patients. Microbiome 12, 118 (2024). https://doi.org/10.1186/s40168-02401821-0

15. Morańska K, Englert-Golon M, DurdaMasny M, Sajdak S, Grabowska M, Szwed A. Why Does Your Uterus Become Malignant? The Impact of the Microbiome on Endometrial Carcinogenesis. Life (Basel). 2023 Nov 28;13(12):2269

16. Stamatakos, P., Fragkoulis, C., Zoidakis, I. et al. A review of urinary bladder microbiome in patients with bladder cancer and its implications in bladder pathogenesis. World J Urol 42, 457 (2024). https://doi.org/10.1007/ s00345-024-05173-

13. Cortés-Alaguero, C.; GonzálezMirasol, E.; Morales-Roselló, J.; PobletMartinez, E. Do clinical data and human papilloma virus genotype influence spontaneous regression in grade I cervical intraepithelial neoplasia? J. Turk. Ger. Gynecol. Assoc. 2017, 18, 1–8

6 , Н. Христов7, М. Петрова 8 , Л. Перусанова 8 1Втора гинекологична клиника, СБАЛАГ „Майчин дом“, 2Катедра

Медицинска генетика, МУ - София, 3Медицински факултет, МУ - София, 4Клиника по оперативна гинекология, УМБАЛСМ „Н. И. Пирогов“, 5Клиника по хирургия, „Александровска болница“, 6ПСАГБАЛ „Света

дира ключов ензим в глюкозния метаболизъм и инсулиновата секреция, а мутации в него са свързани с ГД. Генът IGF2BP2 участва в ембрионалния растеж, клетъчния метаболизъм и контрола на инсулина, а някои SNP са свързани с ГД

наддаване на тегло. Генът IRS1 участва в инсулиновия сигнален път, като някои варианти са свързани с ГД и инсулинова резистентност. Генът ADIPOQ кодира адипонектин, хормон, регулиращ инсулиновата чувствителност. По ­ ниските нива на адипонектин, често срещани при затлъстяване, както и някои SNP в този ген, са свързани с ГД. Други гени, като FTO, MIF, SLC30A8, CDKAL1, HHEX, SHBG, PPARG, KCNJ11, CDKN2A ­ CDKNA2B, HKDC1, както и HLA але -

ли и MODY гени (GCK, HNF1A, SRR 7), също са свързани с повишен риск от ГД [1,18]

Затлъстяването по време на бременност

води до значителни промени в ДНК метилирането. Затлъстяването може да наруши моделите на ДНК метилиране в плацентата и при плода , което може да засегне експресията на гени, участващи в метаболизма, растежа и развитието. Тези промени в ДНК метилирането могат да окажат

върху

като са свързани с повишен риск от метаболитни нарушения при потомството и е възможно да влияят върху риска от ГД и прееклампсия при майката[8]. Някои специфични гени показват променени модели на метилиране при затлъстяване по време на бременност, включително MC4R и LPL в плацентата при ГД и

затлъстяване, ESM1, MS4A3, PDE6A, свърза -

ни с ГД и BMI на майката 9, LEP и ADIPOQ при

ГД и затлъстяване, HIF3α и PGC1­ α с повише -

но метилиране при ГД 10, PPARα с намалено метилиране при ГД 10 и TAPBP, свързан със затлъстяването на майката и кръвното налягане на детето[11].

Хистонoвите модификации също играят роля при затлъстяване по време на бременност. Затлъстяването може да повлияе на

промени, включително ДНК метилиране и хистонови модификации, могат да

бъдат стабилни и да се предават през поколенията[12]. Майчиното затлъстяване може да индуцира епигенетични промени в ооцитите, които се предават на следващите поколения. Промени в ДНК метилирането, причинени от майчиното хранене, също могат да бъдат предадени на потомството[12].

Тези епигенетични промени могат да повлияят на здравето на следващото поколение и да увеличат риска от развитие на затлъстяване и метаболитни нарушения. Потомство

тегло. Бременни

менност, характеризиращ се с по ­ високи нива на липопротеини с много ниска плътност, мастни киселини и аминокиселини[15] Наблюдават се промени в плацентарния транскриптом при жени със затлъстяване, включващи дисрегулация на гени, свързани с възпаление, имунен отговор, липиден метаболизъм и ангиогенеза. Съществуват различия в ДНК метилирането в кръвта на пъпната връв на новородени от затлъстели майки в сравнение

Съществува

и BMI, и затлъстяването при определяне на риска от прееклампсия[16]

Съвременните данни показват, че генетичните и епигенетичните фактори играят важна роля в протичането на бременността при жени със затлъстяване[1]. Идентифицирани са ключови генетични фактори и гени, свързани с повишен риск от усложнения като гестационен диабет и прееклампсия[17]. Основни епигенетични механизми, като ДНК метилиране и хистонни модификации, са засегнати от затлъстяването по време на бременност и оказват влияние върху здравето на майката и плода. Съществуват доказателства за предаване

023-07349-2

1. Lourenço J, Guedes-Martins L. Pathophysiology of Maternal Obesity and Hypertension in Pregnancy. Journal of Cardiovascular Development and Disease. 2025; 12(3):91.

2. Almutairi, F. S., Alsaykhan, A. M., & Almatrood, A. A. (2024). Obesity Prevalence and Its Impact on Maternal and Neonatal Outcomes in Pregnant Women: A Systematic Review. Cureus, 16(12), e75262. https://doi. org/10.7759/cureus.75262

3. Zhang, Y., Lu, M., Yi, Y., Xia, L., Zhang, R., Li, C., & Liu, P. (2024). Influence of maternal body mass index on pregnancy complications and outcomes: a systematic review and meta-analysis. Frontiers in endocrinology, 15, 1280692. https://doi.org/10.3389/ fendo.2024.1280692

4. Obesity in Pregnancy - StatPearls - NCBI Bookshelf

6. Ramachenderan, J., Bradford, J., & McLean, M. (2008). Maternal obesity and pregnancy complications: a review. The Australian & New Zealand journal of obstetrics & gynaecology, 48(3), 228–235. https://doi.org/10.1111/ j.1479-828X.2008.00860.x

7. Grieger, J. A., Hutchesson, M. J., Cooray, S. D., Bahri Khomami, M., Zaman, S., Segan, L., Teede, H., & Moran, L. J. (2021). A review of maternal overweight and obesity and its impact on cardiometabolic outcomes during pregnancy and postpartum. Therapeutic advances in reproductive health, 15, 2633494120986544. https://doi. org/10.1177/2633494120986544

8. Amanda M. Wang, Alan J. Lee, Shannon M. Clark. The effects of overweight and obesity on pregnancy-related morbidity. Clin. Exp. Obstet. Gynecol. 2021, 48(5), 999–1009.

5. Reichetzeder C. (2021). Overweight and obesity in pregnancy: their impact on epigenetics. European journal of clinical nutrition, 75(12), 1710–1722. https://doi. org/10.1038/s41430-021-00905-6

https://doi.org/10.31083/j.ceog4805161

9. Leddy, M. A., Power, M. L., & Schulkin, J. (2008). The impact of maternal obesity on maternal and fetal health. Reviews in obstetrics & gynecology, 1(4), 170–178. 10. Neal, K., Ullah, S., & Glastras, S. J. (2022). Obesity Class Impacts Adverse Maternal and Neonatal Outcomes Independent of Diabetes. Frontiers in endocrinology, 13, 832678. https://doi.org/10.3389/fendo.2022.832678

11. Wanaditya, G. K., Putra, I. W. A., Aryana, M. B. D., & Mulyana, R. S. (2023). Obesity in Pregnant Women and Its Impact on Maternal and Neonatal Morbidity. European Journal of Medical and Health Sciences, 5(3), 17–21. https://doi.org/10.24018/ ejmed.2023.5.3.1625 12. John, J., & Mahendran, M. (2017). Maternal and fetal outcomes of obese pregnant women: a prospective cohort study. International Journal of Reproduction, Contraception, Obstetrics and Gynecology,

6(2), 725–729. https://doi.org/10.18203/23201770.ijrcog20170413

13. AlAnnaz, W. A. A., Gouda, A. D. K., Abou El-Soud, F. A., & Alanazi, M. R. (2024). Obesity Prevalence and Its Impact on Maternal and Neonatal Outcomes among Pregnant Women: A Retrospective Cross-Sectional Study Design. Nursing reports (Pavia, Italy), 14(2), 1236–1250. https://doi.org/10.3390/ nursrep14020094

14. Melchor, I., Burgos, J., Del Campo, A., Aiartzaguena, A., Gutiérrez, J., & Melchor, J. C. (2019). Effect of maternal obesity on pregnancy outcomes in women delivering singleton babies: a historical cohort study. Journal of perinatal medicine, 47(6), 625–630. https://doi.org/10.1515/jpm-2019-0103

15. Alves, F. C. R., Moreira, A., & Moutinho, O. (2024). Maternal and long-term offspring outcomes of obesity during pregnancy. Archives of gynecology and obstetrics, 309(6), 2315–2321. https://doi.org/10.1007/s00404-

16. Antoniou, Andoula & Papadimitriou, Niki & Stιliani, Kotrotsiou & Theofanidis, Dimitrios & Sapountzi-Krepia, Despina. (2021). Investigation of the Effects of Obesity on Pregnant Women: A Systematic Review. International Journal of Caring Sciences. 13. 3-1699.

17. Adwani, N., Fouly, H., & Omer, T. (2021). Assessing the Impact of Obesity on Pregnancy and Neonatal Outcomes among Saudi Women. Nursing reports (Pavia, Italy), 11(2), 279–290. https://doi.org/10.3390/ nursrep11020027

18. Hjort, L., Martino, D., Grunnet, L. G., Naeem, H., Maksimovic, J., Olsson, A. H., Zhang, C., Ling, C., Olsen, S. F., Saffery, R., & Vaag, A. A. (2018). Gestational diabetes and maternal obesity are associated with epigenome-wide methylation changes in children. JCI insight, 3(17), e122572. https://doi.org/10.1172/jci. insight.122572

при жените и основна причина за смъртност от злокачествени заболявания, особено в развиващите се страни[1]. Основният причинител е HPV, който инфектира епителните клетки и води до преканцерозни и канцерозни промени[2].

Съществуващите HPV ваксини, като Gardasil и Cervarix, са изключително ефективни при предотвратяване на инфекции от високорискови типове вируси, но тяхното глобално по -

критие е недостатъчно. Индивидуа -

лизацията на ваксиналните програми

може да допринесе за подобряване на ефективността на превенцията и

намаляване на смъртността.

ЛИТЕРАТУРЕН ОБЗОР

1. HPV и ракът на маточната ший -

ка

Човешкият папиломен вирус е отго -

ворен за около 99% от случаите на

рак на маточната шийка, като типове HPV­16 и HPV­18 се асоциират с най ­ висок онкогенен риск[3,4]. Освен

това, прогресията към рак зависи от допълнителни фактори като генетичната предразположеност и имунния статус на индивида[5]

2. Ефективност на HPV ваксините Съвременните ваксини осигуряват до 90% защита срещу инфекции, причинени от високорискови типове HPV[6] Те са най ­ ефективни при прилагане преди първия сексуален контакт, но тяхната ефективност може да бъде повлияна от индивидуалните особености на имунната система[7].

3. Персонализирана медицина и ваксинопрофилактика Персонализираната медицина се фокусира върху адаптиране на лечението и превенцията към индивидуалните характеристики на пациента. Генетични фактори като HLA типове и полиморфизми в имунорегулаторни гени могат да повлияят на имунния отговор след ваксинация[8].

4. Социално-икономически бариери Достъпът до ваксинация остава ограничен в много страни поради финансови, културни и инфраструктурни бариери. Образователните програми са от ключово значение за преодоляване на тези проблеми[9]

ЦЕЛИ

1. Да се изследва ролята на генетичните

синопрофилактиката.

2. Да се идентифицират социално

масовата ваксинация.

3. Да се предложат стратегии за интегриране на персонализираните подходи в общественото здраве.

ЗАДАЧИ

1. Анализ на данни за ефективността на съществуващите HPV ваксини.

2. Оценка на влиянието на генетични и имунологични фактори върху ваксиналния отговор.

3. Изследване на социалните детерминанти, влияещи върху достъпа до ваксинация.

МАТЕРИАЛ

1. Световна здравна

(2023). Глобален

2. de Martel, C., et al. (2020). Global burden of cancers attributable to infections. The Lancet Oncology, 21(8), 1071–1080.

3. Димитрова, Р. (2019). Човешкият

4. Frazer, I. H. (2022). Mechanisms of HPV immunity and vaccine protection. Nature Reviews Immunology, 22(6), 341–354.

5. Иванов, П., & Стоянова, Л. (2021). Генетична

6. Mackenzie, K., et al. (2021). HLA typing and vaccine response. Journal of Immunology, 207(2), 285–293.

7. Георгиева, М. (2022). Имунен

8. Garland, S. M., et al. (2016). HPV vaccines: Current status and prospects. The Lancet, 387(10035), 2030–2042.

9. WHO/UNICEF. (2022). Global vaccine access and challenges. World Health Organization Reports.

10.

(2023).

14(3), 45–50.

Социално-икономически бариери В България достъпът до HPV

основните причини са липсата на

формираност и финансиране[11] ЗАКЛЮЧЕНИЕ Персонализираните стратегии за ваксинопрофилактика на HPV могат да

повишат ефективността на превенцията и да намалят смъртността от рак на маточната шийка. Индивидуализацията на ваксиналните програми, съчетана с подобряване на достъпа, е ключова за успеха на обществените здравни инициативи.

ИЗВОДИ 1. Генетичните и имунологични фактори влияят значително върху ефективността на ваксините. 2. Социално ­ икономическите бариери остават сериозно предизвикателство пред масовата ваксинация.

3. Необходим е интегриран подход между персонализирана медицина и обществено здраве.

Tenecteplase дава

Темата „Tenecteplase и лечение на

остър исхемичен мозъчен инсулт“

беше разгледана от проф. д-р Пенка

Атанасова, д.м.н., началник на Кли -

ника по нервни болести на УМБАЛ

„Св. Георги“ ЕАД ­ Пловдив и ръко -

водител на Катедра по Неврология,

МУ ­ Пловдив. „Инсултът продъл-

жава да е свързан с висока смърт -

ност в световен мащаб, което под -

чертава необходимостта от нови

и високоефективни лечения“ ­ това

сподели проф. Атанасова в началото

на своята презентация. Тя предста -

ви статистически данни, показващи

ръст в случаите на исхемичен инсулт, като очакванията са до 2050 г. новите

случаи да нараснат до 25 милиона, а

смъртните случаи до 13 милиона го -

дишно вследствие на заболяването.

„Това създава значително натовар -

ване върху здравните системи“, добави тя.

Проф. Атанасова проследи пътя на па-

циента след получаване на остър съ-

дов инцидент, като акцентира върху значението на бързата реакция: „От критично значение е да се оптимизира времето от настъпването на

инсулта до началото на лечението, включително разпознаването на

симптомите, обаждането на спешна помощ, транспортирането до най-близкия център, образната диагностика на

ващ първоначално

ни потребности при лечението на остър исхемичен инсулт (ОИИ) посредством тромболиза. Такива са например краткият полуживот, който налага прилагането на болус (10%), последван от 60 ­ минутна инфузия (90% от дозата), поради което са необходими вливания или интравенозна помпа, както и подходящо обучен персонал. Така възниква въпросът дали е възможно да има терапия, която да бъде по ­добра от alteplase по отношение на полуживота и специфичността към фибрин.

„Tenecteplase e най-новият медикамент разрешен за употреба в ЕСбиоинженерен вариант на alteplase, на който се възлагат големи надежди в лечението на остър исхемичен инсулт (ОИИ)“, отбеляза проф. Атанасова.

Тя проследи историята

сочи

Атанасова. По отношение на структурата на tenecteplase, специалистът

че медикаментът се състои от молекулата на alteplase, върху която са направени няколко промени. „Tenecteplasе е биоинженерен вариант на alteplase с аминокиселинни замествания на 3 места, което води до повишен размер на молекулата, по ­висока фибринова специфичност, по ­дълъг полуживот и резистентност към инхибиторът на плазминогенов активатор (PAI­1) в сравнение с alteplase. Различната структура на tenecteplase осигурява по ­ силно действие,

вия медикамент: „Tenecteplase може да се приложи незабавно след потвърждение на диагнозата, което спестява време и улеснява лечението. Прилага се цялата доза и няма риск от прекъсване на тромболизата. Еднократното болусно приложение освобождава венозната линия по-бързо, намалява необходимостта от инфузионна помпа и медицински персонал, както и оптимизира транспорта на пациента. Освен това, tenecteplase намалява разходите и подобрява качеството на живот в сравнение с alteplase, като скъсява времето до започване на интравенозното лечение и изписването на пациента“, посочи тя.

Модераторът на симпозиума академик проф. д-р Иван Миланов, д.м.н. изпълнителен директор на УМБАЛНП „Св. Наум“ посочи: „При инсулт времето е критичен фактор, затова е

от съществено значение възможно най-ранното приложение на тромболиза. Този медикамент е изключително важен, защото може да спести ценно време, не само за самата инфузия, но най-вече за пациента“.

Събитието продължи с представяне на актуализирания през 2024 г. Национален консенсус за профилактика, диагноза и лечение на мо -

зъчно ­ съдови заболявания, по инициатива на Българското дружество

по неврология. Консенсусът определя tenecteplase като безопасна и

ефективна алтернатива на аlteplase.

Според новите препоръки, при пациенти с ОИИ с оклузия на голям съд, които са кандидати за механична тромбектомия, се препоръчва интравенозната тромболиза с tenecteplase. Предимствата му включват 15 пъти по ­ висока фибринова специфичност,

Проф. Масларов представи данните от клиничното проучване EXTEND ­IA TNK, чиято основна цел е да се сравнят tenecteplase и alteplase по отношение на установяването на реперфузия

при пациенти с оклузия на голям съд при ОИИ (LVO ­AIS), които отговарят на условията за тромбектомия, в рамките на 4.5 часа след ОИИ (с приложение на tenecteplase 0.25 mg/kg спрямо alteplase 0.9 mg/kg).

Основната крайна точка на проучването е реперфузия на >50% от засегнатата исхемична област преди тромбектомия или

на тромб, който може да бъде извлечен, по време на първоначалната ангиографска оценка.

„Резултатите от

проучване EXTEND-IA TNK демонстрират, че tenecteplase превъзхожда alteplase по отношение на реперфузията при лечение на оклузия на голям съм при ОИИ. Установена е по-малка ефективност по отношение на реперфузията на >50% от засегнатата исхемична област при приложение на alteplase спрямо tenecteplase“, отбеляза проф. Масларов. Той добави, че във Фаза

II на клиничното проучване EXTENDIA TNK tenecteplase води до по ­ нисък медианен скор по mRS на Ден 90 в сравнение с alteplase, а профилът на безопасност на tenecteplase е схо -

ден с този на alteplase при лечението на оклузия при голям

на alteplase (18+ години, исхемичен инсулт, причиняващ инвалидизиращ неврологичен дефицит, изминали <4.5 часа от началото на симптомите). Пациентите приемат tenecteplase (0.25 mg/kg; макс. 25 mg) или alteplase (0.90 mg/kg; макс. 90 mg) в рандомизация 1:1. Основният резултат, по който се прави оценката, е в процент пациенти със скор по mRS 0–1 на Ден 90–Ден 120. „В клиничното проучване AcT Фаза III tenecteplase се характеризира

на симптоматич-

добре. Резултатите показват, че няма значима разлика

интракраниален

(sICH) на 24-тия час при приложение на alteplase и tenecteplase, както и в 90-дневната смъртност при приложение на alteplase и tenecteplase“, посочи експертът.

Проф. Масларов представи и ускорено издадените ръководства на Европейската организация по инсулти (ESO), в които приложението на tenecteplase се препоръчва за интравенозна тромболиза при ОИИ, дори и след периода от 0 ­ 4.5 часа. В заключение проф. Масларов подчерта, че основната цел на лечението при ОИИ е възстановяване на мозъчния кръвоток чрез тромболиза и/или механична тромбектомия. „Tenecteplase е биоинженерен t-PA, разработен така, че да преодолее ограниченията на alteplase. Неговите свойства позволяват

Национална конференция Мозъчен инсулт

на кръвния поток в засегнатите артерии.

Как се прилага Tenecteplase и как правите подбора на пациентите, подходящи за него?

Tenecteplase се прилага като еднократна инжекция в продължение на 5 ­10 секунди в рамките на 4.5 часа от начало на симптомите, като по този начин се елиминира едночасовото време за инфузия, необходимо за прилагане на Alteplase.

Новият медикамент е подходящ за пациенти, които са с оклузии на големи

той се прилага едноетапно, което също е от изключителна важност, защото може да се приложи възможно най ­ бързо и навсякъде (в спешно звено, в скенера).

Протоколът за проследяване на пациентите не се променя, мониторираме ги, наблюдаваме жизнените показатели, както е било по протокол и досега, а на 24 ­ти час провеждаме контролен КТ на главен мозък. Какъв

Tenecteplase?

анатомични промени водят до за -

дръжка на урина и увеличен риск

от рефлукс и инфекция.

Захарен диабет – глюкозата в ури -

ната е благоприятна среда за раз -

витие на бактерии.

СИМПТОМАТИКА И ДИАГНОСТИКА

Острият цистит се характеризира с чести и болезнени позиви за уриниране, отделяне на малки количества урина, парене и понякога наличие на хематурия. Температура и болки в лумбалната област обикновено липсват – при тях трябва да се мисли за пиелонефрит. Диагнозата се

поставя клинично и с помощта на лабораторно изследване на урина. При

повтарящи се епизоди се препоръчва микробиологично изследване със

стерилна урина и антибиограма.

ЛЕЧЕНИЕ

Острите неусложнени цистити обикновено се повлияват добре от кратки

курсове с антибиотици (напр. флуорохинолони, цефалоспорини, нитрофурантоин). При бременни се прилагат

бета­лактами или цефалоспорини II/III

генерация в продължение на 7­10 дни.

При рецидивиращи инфекции са

подходящи:

• Профилактични нискодозирани антибиотици;

• Имуностимулиращи и антиадхезивни средства – като D ­ ма -

ноза, която възпрепятства закрепването на E. coli към уроепитела;

• Хранителни добавки, съдържащи растителни екстракти с антимикробен и диуретичен ефект.

РОЛЯТА НА УРОГАНИК ЦИСТО УроГаник Цисто е природна хранителна добавка, която подпомага функциите на пикочните пътища. Съдържа стандартизирани растителни екстракти (бяла бреза, червена боровинка), D ­ маноза и Розмарин, които биха могли да допринесат за:

• намаляване на риска от рецидивиращи инфекции;

• ограничаване на възпалителния процес;

• повишаване на локалния имунитет.

Продуктът е подходящ както в поддържаща

1. van de Merwe, J.P., et al. Diagnostic criteria, classification, and nomenclature for painful bladder syndrome/interstitial cystitis: an ESSIC proposal. Eur Urol, 2008. 53: 60.

2. Лечение на цистит, Urology.bg, 2011

3. Stein, R., et al. Urinary tract infections in children: EAU/ESPU guidelines. Eur Urol, 2015. 67: 546.

4. Blok, B., et al. EAU Guidelines on Neuro-urology. In: EAU Guidelines, edition presented at the annual EAU Congress Munich 2016. ISBN 978-90-79754-98-4.

UroGanic

уринарното и простатното здраве

UROGANIC CYSTO

За здрави пикочни пътища и пре -

венция на цистит

УроГаник Цисто е специално създаден за жени и мъже, страдащи от повтарящи се инфекции на пикочните пътища (цистит). Продуктът комбинира четири активни съставки:

• Д ­ маноза – предотвратява прикрепването на бактерии (E. coli) към лигавицата на пикочния мехур.

• Червена боровинка (PACs) – допълва антиадхезивното действие на Д ­ манозата.

• Бяла бреза – с мек диуретичен

ефект.

• Розмарин – с антисептични и противовъзпалителни свойства.

UROGANIC LITHO

При склонност към образуване на

бъбречни камъни УроГаник Лито е създаден за хора с предразположеност към бъбречно ­ каменна болест (нефролитиаза), за профилактика след преминал епизод на бъбречна криза и поддържане на здравето

Екстракт от Orthosiphon (котешки мустак) – стимулира диурезата и извежда излишните

UROGANIC

УроГаник Прост е формулиран специално за мъже с доброкачествена хиперплазия на простатата (ДПХ), смущения в уринирането и подкрепа на здравето на простатата. Съдържа комбинация от доказани фитосъставки: • Сао палмето (Serenoa repens) –намалява отока на простатата и облекчава уринирането;

Симптомите, дължащи се

на инфекции на пикочни -

те пътища, са често среща -

на причина за консултации

и прегледи в първичната медицинска помощ, където се леку-

ват и проследяват повечето пациенти. Неусложнените инфекции на до -

лните пикочни пътища обикновено се овладяват бързо, а немалка част от тях се и самоограничават. Често -

тата им е отностително висока, като 11% от жените съобщават, че са имали поне един епизод на уроинфекция, а 3% от тях се установяват три

или повече епизода през предходната година. Високата честота на уроинфекциите и склонността им към рецидиви води до повишаване на разходите в здравеопазването.

Инфекциите на пикочните пътища

уроинфекции.

• Усложнени и неусложнени инфекции

„Неусложнена“ означава, че пациентът няма известни фактори, докато като „усложннена“ се определя тази, при която се установяват фактори, които могат да повишат риска за уроинфекция и намалят ефикасността на лечението. Такива усложняващи фактори могат да включват анатомична или функционална аномалия на пикочните пътища (напр. бъбречно

често при различни инвазивни (катетеризация на пикочния мехур, уретерни стентове, нефростоми) и инструментални (цистоскопия, уретерореноскопия) изследвания. Това разделяне е от критична значимост поради различните етиологични причинители, както и поради различната им чувствителност

Staphylococcus saprophyticus (10%)

Klebsiella spp.

Enterobacter spp.

Proteus spp.

Enterococci spp.

(8%

Термин

3).

Klebsiella spp.

Enterococci spp.

телни проби с един и същ бактери -

ален щам с количествен брой над 105

колонии/мл или единична проба от

урина получена чрез катетеризация с един бактериален вид с количествен

брой над 102 колонии/мл. Няколко характеристики на бременността действат като предразполагащи фактори за появата на

асимптоматичната бактериурия, включително: повишен прогестерон, забавена перисталтика, застой

на урината в горните пикочни пътища, нарастване на матката, измества -

не на пикочния мехур и увеличени -

ят

обем остатъчна урина. По време

на бременността това състояние лес -

но може да се трансформира в симп -

томатична инфекция с потенциал -

ни вредни въздействия за фетуса.

Уроинфекциите са едни от най ­ чес -

то срещаните инфекции по време на

бременност (15% от всички инфекциозни събития), а 25 ­ 40% от случа -

ите на асимптомна бактериурия по

време на бременността преминават

в симптоматична инфекция с рискът

от развитие на пиелонефрит до 40%.

Безсимптомната бактериурия е свър -

зана също и с ниско тегло при ражда -

не и преждевременно раждане[6]

ДИАГНОСТИЧЕН ПЛАН ПРИ

УРОИНФЕКЦИИТЕ

Неусложнен цистит се определя като

остър, спорадичен или рецидивиращ цистит, при небременни жени,

без известни анатомични и функцио -

нални аномалии в пикочните пътища или съпътстващи заболявания. Ди -

агнозата може да бъде поставена с

голяма вероятност на базата на фо -

кусирана анамнеза за симптоми на

долните пикочни пътища (дизурия, честота и спешност) и липса на ваги -

дефиниция,

рецидивиращи инфекции следва

тези при които се установява симптоматичен епизод на уроинфекция поне

пъти за шест месеца или три

за едногодишен период. Разграничаването на рецидивиращи уроинфекции (симптоматична инфекция) от безсимптомна бактериурия, особено при постменопаузални жени е от ключово значение в диагностиката, поведението и лечението на двете състояния. Обичайно срещаните и познати в клиничната практика симптоми като супрапубична болка, дискомфорт и

честота на уриниране, макар и задължителни в клиничната картина на симптоматичните уроинфекции, не трябва да се приемат като единствено възможни белези на възпалително заболяване. Тяхната клинична манифестация в различна тежест, последователност и констелативна свързаност може да се установи и

при редица други заболявания като полови предавани болести, туберкулоза на отделителната система и интерстициалният цистит, познат също като синдром на хронична болка в

пикочният мехур. Ето защо диагнозата рецидивираща уроинфекция, за разлика от острите епизоди, не бива да се поставя само на базата на клинични симптоми, и микробиологич

колонизация от лактобацили. Колонизирането на лактобацили намалява колонизацията на патогени чрез производството на млечна киселина през метаболизма на глюкозата, което в крайна сметка намалява вагиналното рН[8]. В допълнение, фактори като инконтиненция на урината, пролапс на предната вагинална стена, увеличен остатъчен обем на урината и периодична или постоянна катетеризация на урината предразполагат към рецидивност, но на усложнените уроинфекции (Табл. 4).

ПОВЕДЕНИЕ ПРИ РЕЦИДИВИРАЩИ УРОИНФЕКЦИИ Всеки урологичен рисков фактор трябва да

бъде идентифициран и лекуван. Предотвратяването на рецидивиращи уроинфекции е

невъзможно без конкретна оценка на рисковите фактори, тяхното редуциране и намаля -

ване на въздействието им, заедно със специфична поведенческа терапия, немикробни мерки и антимикробна профилактика[3]

• Промяна в поведение и навици

Достъпни и широко описвани се редица поведенчески и лични хигиенни мерки (напр. повишаване приема на течности, редовно уриниране през деня, като и след полов контакт, избърсване отпред назад след дефекация, измиване и носене на подходящо бельо) за намаляване на риска от рецидивност. Въпреки това, някои проучвания, които са изследвали основните

• Хормонално-заместителна терапия При жени след менопаузата вагиналното локално заместване на естрогени, показва тенденция към редукция на уроинфекциите. След приложението им сигнификантно се отчита понижение на рН, повишение на колонизацията с лактобацили и понижение на бактериалната колонизация със сем. Enterobacteriaceae. Всичко тези фактори се явяват критичен момент в намаляването честотата на рецидивиращите инфекции[8] • Профилактика с червена боровинка В медицинската литература са налице данни сочещи, че червената боровинка е с потенциални ползи за намаляване на честотата на уроинфекции при жените. Плодовете от видове Vaccinium напр., боровинките съдържат кондензирани танини, наречени проантоцианидини. Те могат да противодействат на P фимбриите на E coli. Проантоцианидини са стабилни фенолни съединения, които са широко разпространени в природата и някои от тях притежават антивирусни, антибактериални, антиадхезивни или антиоксидантни свойства. Механизма им на действие е чрез експресия на адхезионни молекули, водещи до инхибиране на бактериалната адхезия към клетъчни повърхности. Таниновите профили се различават в различните плодове от боровинки, като молекулите на проантоцианидин от екстрактите на червена боровинка се състоят главно от епикатехин. Въпреки това,

при гликозилирането на някои протеини. Предполагаемият механизъм на действие е инхибиране на бактериалната адхезия към уроепителните клетки. In vitro експериментите

показват, че D ­ манозата се свързва с тип 1 пили на E.coli, и блокиране на адхезията им към уроепителните клетки и намаляването на нивата на бактериурия е потвърдено in vivo

при животински модели. В рандоми -

зирано плацебо ­ контролирано кли -

нично проучване е установено, че

дневна доза от 2 g D ­ маноза е значително по ­добра от плацебо и ефективна като 50 mg нитрофурантоин за

предотвратяване на рецидивни уроинфекции[13]

• Интравезикални инстилации

Ендовезикалните инстилации на хи -

алуронова киселина и хондроитин сулфат са използвани за попълване на слоя гликозаминогликан (GAG)

при лечение на интерстициален ци -

стит, свръхактивен пикочен мехур, радиационен цистит и за предотвратяване на рецидивиращи уроинфекции Прегледа обаче на достъпните 27 клинични проучвания води до за -

ключението, че са необходими мащабни проучвания, за да се оцени

категоричната ползата от този вид терапия, следователно на този етап не е възможна обща препоръка за

интравезикалното приложение[14]

• Антимикробни средства за

предот вратяване на рецидивиращи уроинфекции

Продължителна антимикробна профилактика с ниски дози в комбинация с

профилактика Антимикробните средства могат да се прилагат

тъй като и двата режима намаляват честотата на рецидивиращите уроинфекции. Задължително е да се предлагат и двете възможности след консултиране и когато поведенческите подходи и немикробните мерки са били неуспешни. Режимите включват нитрофурантоин 50 mg или 100 mg веднъж дневно, фосфомицин трометамол 3 g на всеки десет дни, триметоприм 100 mg веднъж дневно и по време на бременност цефалексин 125 или 250 mg веднъж дневно. Антибиотичната профилактика след полов

гията и наличните модели на чувствителност в Европа, понастоящем за лечение на остър епизод на уроинфекция на долните пикочни пътища се препоръчва перорално лечение с фосфомицин трометамол 3 g еднократна доза, пивмецилин 400 mg три пъти дневно в продължение на три до пет дни и нитрофурантоин (напр. Нитрофурантоин монохидрат / макрокристали 100 mg два пъти дневно в продължение на пет дни). Алтер -

1. S. Lodhia A. Sharaf Ch. Foley. Management of recurrent urinary tract infections in adults. Surgery (Oxford) Volume 38, Issue 4, April 2020: 197-203.

2. Horan, T.C., et al. CDC/NHSN surveillance definition of health care-associated infection and criteria for specific types of infections in the acute care setting. Am J Infect Control, 2008. 36: 309.

3. EAU Guidelines. Edn. presented at the EAU Annual Congress Amsterdam the Netherlands 2020. ISBN 978-94-92671-07-3.

4. A.R. Brumbaugh, H.L. Mobley Preventing

urinary tract infection: progress toward an effective Escherichia coli vaccine. Expert Rev Vaccines, 11 (2012), pp. 663-676.

5. Nicolle, L.E., et al. Infectious diseases society of America guidelines for the diagnosis and treatment of asymptomatic bacteriuria in adults. Clin Infect Dis, 2005. 40: 643.

6. Storme O, Tirán Saucedo J, Garcia-Mora A, Dehesa-Dávila M, Naber KG. Risk factors and predisposing conditions for urinary tract infection. Ther Adv Urol. 2019;11:17.

7. Hooton TM, Scholes D, Hughes JP, Winter

C, Roberts PL, Stapleton AE, Stergachis A, Stamm WE. A prospective study of risk factors for symptomatic urinary tract infection in young women. N Engl J Med. 1996 Aug 15; 335(7):468-74.

8. Raz R. Hormone replacement therapy or prophylaxis in postmenopausal women with recurrent urinary tract infection. J Infect Dis. 2001 Mar 1; 183 Suppl 1():S74-6.

9. Hooton, T.M. Recurrent urinary tract infection in women. Int J Antimicrob Agents, 2001. 17: 259.

11. Schwenger, E.M., et al. Probiotics for preventing urinary tract infections in adults and children. Cochrane Database Syst Rev, 2015: CD008772.

12. Kontiokari, T., et al. Randomised trial of cranberry-lingonberry juice and Lactobacillus GG drink for the prevention of urinary tract infections in women. BMJ, 2001. 322: 1571.

10. Naber, K.G., et al. Immunoactive prophylaxis of recurrent urinary tract infections: a meta-analysis. Int J Antimicrob Agents, 2009. 33: 111.

14. Damiano, R., et al. Prevention of recurrent urinary tract infections by intravesical administration of hyaluronic acid and chondroitin sulphate: a placebocontrolled randomised trial. Eur Urol, 2011. 59: 645.

15. Albert, X., et al. Antibiotics for preventing recurrent urinary tract infection in nonpregnant women. Cochrane Database Syst Rev, 2004: CD001209

13. Kranjcec, B., et al. D-mannose powder for prophylaxis of recurrent urinary tract infections in women: a randomized clinical trial. World J Urol, 2014. 32: 79.

М. Цветков, М. Кичук, П. Карагьозов, д.м. FASGE

Клиника по Гастроентерология, „Аджибадем Сити Клиник УМБАЛ Токуда“ - София

Индикатори

Ключови думи: Ендоскопия, ендоскопска ретроградна холангиопанкреатография, индикатори, качество.

ВЪВЕДЕНИЕ

Ендоскопската ретроградна холан -

гиопанкреатография (ЕРХПГ) е висо -

коспециализирана инвазивна диаг-

ностично ­терапевтична процедура, широко прилагана при заболявания на жлъчното дърво и панкреаса. Това

е една от технически най­ взискателните и високорискови интервенции

в гастроинтестиналната ендоскопия.

За постигане на максимален успех и

предотвратяване на лоши резулта -

ти от процедурата, за извършването

й се изискват специализирано обучение и опит. Поради техническата си

сложност ЕРХПГ носи риск от усложнения като кървене, перфорация, инфекция, панкреатит, някои от които

могат да бъдат животозастрашаващи.

Успешните процедури ЕРХПГ зависят от правилния подбор на пациенти, правилните процедурни техники,

то представляват критерии или стандарти в предоставянето на здравни грижи, спрямо които ендоскопистът може да бъде оценен и сравнен. В тази връзка международните професионални организации като Американската организация по гастроинтестинална ендоскопия (ASGE), Американската гастроентерологична асоциация (AGA) и Европейската организация по гастроинтестинална ендоскопия (ESGE) представят ясни препоръки за идентифициране

се определят: пациенти с иктер, дължащ се на билиарна обструкция; пациенти без иктер, но с клинична и биохимична или образна констелация за заболяване на панкреатобилиарния тракт; оценка на белези или симптоми, предполагащи злокачествено заболяване на задстомашната жлеза; оценка на възпалителни заболявания на задстомашната жлеза с неясна етиология; холедохолитиаза; дисфункция на сфинктера на Оди; стенозиращ папилит и др.

Честота, с която се получава информирано съгласие, включително конкретно обсъждане на рисковете, свързани с ЕРХПГ Информираното съгласие трябва да обобщава всички рискове, общовалидни за всички ендоскопски процедури, както и специфичните нежелани събития, характерни конкретно с ЕРХПГ. Основните нежелани събития при ЕРХПГ са: панкреатит, хеморагия, инфекция, кардиопулмонални събития, алергична реакция и перфорация.

Честота, с която се прилагат подходящи антибиотици за ЕРХПГ при наличните показания Доказано

още няма консенсус относно това кой трябва да бъде класифициран като "обучен" ендоскопист, тъй като различните специалисти могат да имат различни криви на обучение, поради което е изключително трудно

да се определи минималният брой процедури, необходими за придобиване на експертиза. По предложение на ESGE е необходимо да бъдат оценени приблизително 100 последователни процедури, за да се измери валиден

индикатор.

Честота, с която броят на извършените ЕР-

ХПГ на конкретен ендоскопист се документира на годишна база За успеха на процедурата и осигуряването на

до

извеждането на дуодендоскопа. Той включва техническите аспекти на процедурата, диагностичните и терапевтични интервенции, както и осигуряването на седация и мониториране на пациента. Интрапроцедурните показателите за качество, специфични

за ЕРХПГ, включват:

Честотата, с която се документира дълбокото канюлиране на кана-

лите, обект на интерес (приоритетен показател)

Успешната канюлация на третирания

канал (билиарен или панкреатичен)

е един от най­ важните и технически

трудни етапи на EРХПГ. Независимо

от резултата, тя трябва да бъде доку-

ментирана при всички случаи. Според утвърдените препоръки, успешна

канюлация се очаква да бъде постиг-

ната в над 90% от случаите. Тук е ред-

но да отчетем факта, че неуспешните

канюлации при пациенти с променена анатомия, или в случаите с неадек-

ватна седация, не би следвало да се

вземат предвид.

Честота, с която се измерват и до -

кументират времето за флуороско -

пия и радиационната доза

Тъй като ЕРХПГ по дефиниция изис-

ква излагане на радиация за пациента, това излагане трябва да бъде сведено до минимум, който да позволи

безопасно и навременно извършване на процедурата. Съществуват и други фактори, които влияят на дозата, а именно: телосложението на пациента, използване на медна филтрация, разстоянието до източника на радиация, използване на увеличение, отразяването на моментни снимки и др. Времето на флуороскопията и радиационната доза трябва да бъдат документирани, ако е възможно.

При пациенти с нормална анатомия най­честите методи за екстракция включват папилосфинктеротомия с последваща екстракция с балон или кошница.

Честота, с която успешно се постига и документира поставянето на стент при билиарна

щия

стриктури

др. Ендоскопистът трябва да документира информация от

носно показанието, местоположение

то на стриктурата, размер

тип на стента, както

постопера

тивна анатомия, за да се осигури възможност за последващо сравнение. Смята се, че компетентен EРХПГ ендоскопист трябва да може да постави успешно билиарен стент при нехилусна билиарна обструкция в над 90% от случаите.

ПОСТПРОЦЕДУРНИ ИНДИКАТОРИ Периодът след процедурата обхваща времето от отстраняването на дуоденоскопа до последващото наблюдение. През този период ендоскопистът трябва

Важно е те да бъдат разпознати рано, както и да бъдат предприети стъпки за тяхното овладяване. Незабавно разпознатите нежелани събития трябва да бъдат докладвани заедно с план за спешно поведение. Кървене, алергични реакции, кардиопулмонални събития (включително аспирация), перфорация и пост­ЕРХПГ панкреатит (ПЕП) са основ-

дици. Честотата на панкреатит след ЕРХПГ зависи от вида на извършената процедура. Например, сфинктерометриите са свързани с по ­ висок риск. Обичайните честоти за ПЕП варират между 1% и 7%, изключвайки определени подгрупи пациенти с висок риск – например тези с известна или подозирана дисфункция на сфинктера на Оди. При тях може да е необходима специална профилактика срещу пост­ЕРХП панкреатит (Фиг. 1). Един от най ­ важните параметри е адекватната хидратация на пациента преди процедурата, която трябва да бъде част от предварителния протокол.

Според препоръките на ESGE за профилактика, всеки пациент трябва да

получи 100 мг нестероидно противовъзпалително средство (Индометацин), приложено ректално непосредствено преди или след процедурата. При пациентите, оценени като висо -

корискови, може да бъде обмисле -

но поставянето на профилактичен

панкреасен стент. Документирането

и проследяване на ПЕП е важен показател, позволяващ пряко сравне -

ние между различните референтни центрове и специалистите ­ ендоскописти.

Честота и вид на перфорацията

Усложнените ЕРХПГ процедури с перфорации трябва да бъдат документирани и проследявани. Перфорацията

е едно от най ­тежките усложнения на ЕРХПГ. Съществуват различни класификации за перфорации, като най ­ често използваната е тази на Stapfer. Прости перфорации, причинени от водачи в стената на дуоде

бъдат затворени чрез ендоскопски

методи. Известни са някои рискови фактори, които предстваляват предпоставка за перфорация. Ттакива са: променена анатомия след Billroth II

или Roux­ en­Y операция, предполагаема дисфункция на сфинктера на Оди, интра ­ мурално инжектиране на контраст, сфинктеротомия, дилатация на жлъчни стриктури и продължителни процедури. Поради ниската честота на перфорации, е трудно да се определят надеждни индивиду-

ални показатели за ендоскопистите, което затруднява наличието на референтни стойности

Честота на клинично

воизлив след сфинктеротомия или сфинктеропластика

пациенти, подложени на ЕРХПГ Кървенето може да бъде незабавно или отложено, като съществуват мно -

жество ендоскопски техники за овладяване. Рискът от кървене е по

висок при пациенти, приемащи варфарин. Няма достатъчно данни за честота -

та при пациенти, приемащи някои от новите антикоагуланти. Аспиринът може да се използва безопасно при пациенти, подложени на ЕРХПГ. Повечето случаи на кървене са свързани с папилосфинктеротомия

1. Meseeha M, Attia M. Endoscopic Retrograde Cholangiopancreatography. [Updated 2023 Aug 8]. In: StatPearls [Internet]. Treasure Island (FL): StatPearls Publishing; 2025 Janwww.ncbi.nlm.nih.gov/books/NBK493160/ 2. Adler, Douglas G. et al., Quality indicators for ERCP, Gastrointestinal Endoscopy, Volume 81, Issue 1, 54 – 66 dx.doi. org/10.1016/j.gie.2014.07.056

3. Elmunzer, B. Joseph MD1; Anderson, Michelle A. MD, MSc2; Mishra, Girish MD, MSc, FACG3; Rex, Douglas K. MD, MACG4; Yadlapati, Rena MD, MSHS, FACG5; Shaheen, Nicholas J. MD, MPH, MACG6. Quality Indicators Common to All Gastrointestinal Endoscopic Procedures. The American Journal of Gastroenterology 119(9):p 17811791, September 2024. | DOI: 10.14309/ ajg.0000000000002988

4. Sharma ZD, Puri R. Quality indicators in endoscopic retrograde cholangiopancreatography: a brief review of established guidelines. Clin Endosc. 2023;56(3):290-297. doi: 10.5946/ce.2022.210

5. Domagk, D., Oppong, K.W., Aabakken, L., Czakó, L., Gyökeres, T., Manes, G., Meier, P., Poley, J., Ponchon, T., Tringali, A., Bellisario, C., Minozzi, S., Senore, C., Bennett, C., Bretthauer, M., Hassan, C., Kaminski, M.F., Dinis-Ribeiro, M., Rees, C.J., Spada, C., Valori, R., Bisschops, R. and Rutter, M.D. (2018), Performance measures for endoscopic retrograde cholangiopancreatography and endoscopic ultrasound: A European Society of Gastrointestinal Endoscopy (ESGE) Quality Improvement Initiative. UEG Journal, 6: 1448-1460. https://doi. org/10.1177/2050640618808157

6. Alberca de las Parras F, López-Picazo J, Pérez Romero S, Sánchez del Río A, Júdez Gutiérrez J, León Molina J, et all. Quality indicators for endoscopic retrograde cholangiopancreatography. The procedure of endoscopic retrograde cholangiopancreatography . 5652/2018

Н. Шумка, П. Карагьозов Клиника по гастроентерология, „Аджибадем Сити Клиник УМБАЛ Токуда“ - София

Ключови думи: Жлъчно-каменна болест, холецистектомия, ЕРХПГ, постхолецистекомичен синдром.

ВЪВЕДЕНИЕ

Постхолецистектомичен синдром (PCS) е термин, съединяващ редица

симптоми, характерни при патоло -

гия на жлъчния мехур при пациенти

след холецистектомия[1]. Симптомите

включват не само характерната били-

арна колика или болка в дясно подре -

брие, но също така и непоносимост

към мазна храна, гадене, повръщане,

киселини, метеоризъм, лошо храно -

смилане, диария, жълтеница и перио -

дични епизоди на коремна болка[2]

Постхолецистектомичния синдром

може да се появи рано, обикновено в следоперативния период, но и месеци до години след операцията. Годишно в България се извършват около пет до шест хиляди холецистектомии[3]. Честотата на постхолецситектомичния синдром варира в широки граници в литературата, като от 5 до 30% от пациентите се съобщава, че

операцията при персистиране на симптотиката. Други фактори, увеличаващи риска за развитите на холецистекомичния синдром, са: женски пол, рефлукс езофагит, пептична язва, IBS, панкреатит, резидуални конкременти, жлъчен лийк, билиарни стриктури, остатък от d. cysticus, стеноза и дискинезия на сфинктера на Оди. Извънчревни причини като психиатрични и неврологични разстройства, интеркостален неврит, неврома на постопертивния цикатрикс, коронарна артериална болест и необясними болкови синдроми също могат да причинят симптоми, съответстващи на постхолецистектомичния синдром. ПАТОФИЗИОЛОГИЯ Патофизиологията

около 35% с диария или гадене[6]. ИЗСЛЕДВАНИЯ Първоначално

ка на хепатобилиар -

ната система, пан -

креаса и околните области при наличие на симптомати -

ка, свързана с постхолецистектомичния синдром. Дилатация на общия жлъчен канал (d. cholеdohus)

до 10 мм се счита за нормално след холецистектомия, докато дилатация, надвишаваща 10

мм, в повечето случаи, е индикатор за дистална обструкция, предполагаща задържан камък, стеноза на общия жлъчен

-

Фатери. Компютърната томография (КT) може да помогне при идентифицирането на панкреатит или усложнения от панкреатит като

псевдокисти. Маг-

нитен резонанс холангиопанкреатография (МРХПГ) може да покаже жлъчен лийк или да помогне при идентифицирането на дисфункция на сфинктера

на Оди като въз -

можна причина, въпреки че разграничаването между стеноза и дисфункция е трудно. Ендос -

копският ултразвук

биха се

нуждаели от ендоскопска ретроградна холангиопанкреатография (EРХПГ); използването на EUS е намалило броя на пациентите, които са получили ЕРХПГ с 50% и може да бъде полезно при идентифицирането на ка -

мъни в цистичния остатък[7]

EРХПГ се счита за

най ­ полезния тест

за диагностициране

на постхолецистектомичния синдром, тъй като около по -

ловината от пациентите имат билиарна

етиология на заболя -

ването. Терапевтичните маневри, вклю -

чително екстракция

на конкременти, ди -

латация на сфинктера или сфинктеротомия, могат да бъдат

извършени по време на ЕРХПГ.

ЛЕЧЕНИЕ Постхолецистекто -

мичният синдром обикновено е вре -

менна диагноза, тъй

като по ­ нататъшните изследвания устано -

вяват органична или функционална диагноза. След определянето на диагнозата, лечението трябва да бъде насочено от конкретната поставена диагноза и може да включва фармакологични или процедурни подходи.

Фармакологична терапия

черво.

• Холестираминът може да е полезен за пациенти с диария.

• За пациенти със симптоми на ГЕРБ или гастрит, антациди, H ­2 блокери или инхибитори на протонната помпа могат да предоставят облекчение от симптомите.

• Едно проучване показа, че пациенти с диспептични симптоми, корелиращи с концентрацията на жлъчните соли в стомаха могат да се повлияат от холестирамин.

• При наличие на вторична панкреатична ек

1. Jaunoo SS, Mohandas S, Almond LM. Postcholecystectomy syndrome (PCS). Int J Surg. 2010;8(1):15-7.

2. Schofer JM. Biliary causes of postcholecystectomy syndrome. J Emerg Med. 2010 Oct;39(4):406-10.

3.

Science & Technologies Volume V, Number 1, 2015

4. Peterli R, Merki L, Schuppisser JP, Ackermann C, Herzog U, Tondelli P. [Postcholecystectomy complaints one year after laparoscopic cholecystectomy. Results of a prospective study of 253 patients]. Chirurg. 1998 Jan;69(1):55-60.

5. Russello D, Di Stefano A, Scala R, Favetta A, Emmi S, Guastella T, Latteri F. Does cholecystectomy always resolve biliary disease? Minerva Chir. 1997 Dec;52(12):1435-9

6. FREUD M, DJALDETTI M, DE VRIES A, LEFFKOWITZ M. Postcholecystectomy syndrome: a survey of 114 patients after biliary tract surgery. Gastroenterologia. 1960;93:288-93.

7. Filip M, Saftoiu A, Popescu C, Gheonea DI, Iordache S, Sandulescu L, Ciurea T. Postcholecystectomy syndrome - an algorithmic approach. J Gastrointestin Liver Dis. 2009 Mar;18(1):67-71

8. Abu Farsakh NA, Stietieh M, Abu Farsakh FA. The postcholecystectomy syndrome. A role for duodenogastric reflux. J Clin Gastroenterol. 1996 Apr;22(3):197-201.

9. Phillips MR, Joseph M, Dellon ES, Grimm I, Farrell TM, Rupp CC. Surgical and endoscopic management of remnant cystic duct lithiasis after cholecystectomy--a case series.

Д. Кавраков, П. Карагьозов, д.м., FASGE

Клиника по гастроентерология, „Аджибадем Сити Клиник УМБАЛ Токуда“ –София

ендоскописти

тично изучавани, се предполага, че разлики -

те в силата на захващане на ендоскопа, както

и в размера на ръцете, изисква от жените да положат повече усилия, за да генерират еквивалентна сила. Усилията за смекчаване на тези различия трябва да бъдат заложени в програмите за обучение с цел понижаване на произтичащото негативното влияние върху кариерното развитие и желанието за заучаване на по ­ сложни ендоскопски методики от женския пол. Независими рискови фактори се явяват голямата продължителност на практикуване на едноскопии – над 15 години, общият брой седмични манипулации – над 20, както и общият брой часове, прекарани в практикуване на интервенционални процеду

умения от обучението, както и консултации с физиотерапевти[3] Водеща роля има осигуряването на различни по продължителност почивки между манипулациите, обозначавани в чуждестранната литература като microbrеaks и macrobreaks.

Кратките по продължителност почивки продължават от 30 секунди до 2 минути, а обозначаваните като дълги – от 15 до 45 мин. Известни са и трети вид почивки, целящи екстензия на мускулатурата,

между нея и пода от 85 ­120 см, както и разстояние от 10 см спрямо височина на лакътя на ендоскописта и масата, осигуряваща неутрална позиция на гърба и рамената. Препоръчително е ендоскопската кула при колоноскопия да бъде директно зад ендоскописта като нивото на свързване на колоноскопа с кулата трябва да

бъде на нивото на ануса. Благоприятно е наличието на мека подложка под краката, осигуряваща лесен и бърз достъп до работния педал, но за тази цел е необходимо спазването

на стриктен хигиенен режим поради по ­ високия риск от бактериална контаминация.

Проучвания посочват, че положението на тялото на пациента по вре -

на ендоскопия също има своята роля. Сравнявайки ляво спрямо дяс -

но странично положение чрез обследване на т.нар. RULA score (Rapid Upper Limb Assessment score), корелиращ с рисковите фактори за възникване на мускулно ­ скелетни увреди на горния крайник, се установява, че дясното странично положение се асоциира с по ­ висок RULA score в сравнение с лявото странично положение, което се свързва с по ­ висок риск от възникване на мускулно ­ скелетни увреди[5]. ЕНДОСКОПИЯ И БРЕМЕННОСТ Ключова роля заема спазването

1. Swati Pawa, MD, FASGE,1 Richard S. Kwon, MD,2 Douglas S. Fishman, MD, FAAP, FASGE,3Nirav C. Thosani, MD,4 Amandeep Shergill, MD, MS,5 Samir C. Grover, MD, MEd,6Mohammad Al-Haddad, MD, MSc, FASGE,7 Stuart K. Amateau, MD, PhD, FASGE,8James L. Buxbaum, MD, MS, FASGE,9 Audrey H. Calderwood, MD, MS, FASGE,10 Jean M. Chalhoub, MD,11Nayantara Coelho-Prabhu, MD, FASGE,12 Madhav Desai, MD, MPH,13 Sherif E. Elhanafi, MD,14Nauzer Forbes, MD, MSc, FASGE,15 Larissa L. Fujii-Lau, MD,16 Divyanshoo R. Kohli, MD,17Jorge

D. Machicado, MD, MPH,2 Neil B. Marya, MD,18 Wenly Ruan, MD,4 Sunil G. Sheth, MD, FASGE,19Andrew C. Storm, MD,12 Nikhil R. Thiruvengadam, MD,20 Bashar J. Qumseya, MD, MPH, FASGE21(ASGE Standards of Practice Committee Chair, 2020-2023) American Society for Gastrointestinal Endoscopy guideline on the role of ergonomics for prevention of endoscopy-related injury: summary and recommendations.

2. Catharine M. Walsh, MD, MEd, PhD1,∗ ∙ Emad Qayed, MD, MPH2,∗ ∙ Hiroyuki Aihara, MD3 Gobind S. Anand, MD4 Kathryn

Byrne, MD5 Prabhleen Chahal, MD6 Sunil Dacha, MD7 Theodore W. James, MD, MSc8 Thomas E. Kowalski, MD9 Aparna Repaka, MD10 Mohammed Saadi, MD11 Sunil G. Sheth, MD12 Jason R. Taylor, MD13 Renee L. Williams, MD14 Mihir S. Wagh, MD, FACG, FASGE15 Core curriculum for ergonomics in endoscopy

3. Rishad Khan, MD Alec Faggen, MD Amandeep Shergill, MD, MS Samir C. Grover, MD, MEd Catharine M. Walsh, MD, MEd, PhD Integrating Ergonomics into Endoscopy Training: A Guide for Faculty and Fellows

4. Amandeep K. Shergill, MD Kenneth R. McQuaid, MD David Rempel, MD, MPH Ergonomics and GI endoscopy

5. Pawa, Swati MD1,2; Banerjee, Promila MD3; Kothari, Shivangi MD4; D'Souza, Sharlene L. MD5; Martindale, Sarah L. PhD6,7; Gaidos, Jill K. J. MD8; Oxentenko, Amy S. MD9; Burke, Carol A. MD10; on behalf of the Women in Gastroenterology Committee of the American College of Gastroenterology; Are All EndoscopyRelated Musculoskeletal Injuries Created Equal? Results of a National Gender-Based Survey

6. Maxim Landry 1, Sarah Mackey 1, Intekhab Hossain 1, Nicholas Fairbridge 1, Alison Greene 2, Mark Borgaonkar 1, Kimberley Cullen 1 3, David Pace 1, Diana De Carvalho 4; An estimation of the endoscopist's musculoskeletal injury risk for right and left lateral decubitus positions during colonoscopy: a fieldbased ergonomic study

7. Diana E Yung 1, Tommaso Banfi 2, Gastone Ciuti 2, Alberto Arezzo 3, Paolo Dario 2, Anastasios Koulaouzidis; Musculoskeletal injuries in gastrointestinal endoscopists: a systematic review

В. Наков Клиника по Неврохирургия, „Аджибадем Сити Клиник УМБАЛ Токуда“ – София

Мозъчно сътресение

спорта – диагностика,

лечение и поведение

Ключови думи: Спортно сътресение, комоцио церебри, RTP протокол, SCAT6, CTE, Second Impact Syndrome, спортна медицина.

ВЪВЕДЕНИЕ

Мозъчното сътресение представля -

ва преходно нарушение на мозъчната функция, причинено от травматични биомеханични сили. Обикновено

липсват видими структурни увреждания на мозъка при образна диаг-

ностика, т.е. увредата води само до преходни функционални, но не и до морфологични промени, с изключе -

на случаите, в които сътресение -

внезапно ускорение/забавяне на главата[1­7]. Правилното

отколкото при възрастни[4,5,8,11]. Особе -

но важен е фак тът, че веднъж преживял сътресение, атлетът е по ­ предразполо -

жен към повторно та -

кова. Рискът за второ сътресение се

повишава няколко пъти – по някои данни 4 ­ 6 пъти, в срав -

нение с неувредени атлети[4,5,8,11]. Причините са комплексни: незавършеното възстановяване на мозъка, остатъчните когнитивни

КЛИНИЧНА КАРТИНА И АЛАРМИРАЩИ СИМПТОМИ ЗА

ПО-ТЕЖКА УВРЕДА

симптоми

проявяват веднага или в първи -

те минути след травмата[4,5,8,12]

Най ­ честите остри признаци

включват:

• Главоболие (най ­ чест симптом), често описвано като

тъпа дифузна болка;

• Замаяност или чувство за нестабилност;

• Гадене (понякога съпроводе -

но с единично повръщане);

• Объркване и дезориентация, забавени реакции; пострада -

лият може да изглежда „за -

маян“ или да отговаря на въ -

проси със забавяне;

• Нарушена памет – например неспособност да си спом -

ни самия инцидент или последните минути преди него (ретроградна амнезия) или събития след него (антероградна амнезия);

• Проблеми с баланс

и с горепосочените симптоми. В повечето случаи симптомите на сътресение достигат пик в първите 24­ 48 часа, след което постепенно отслабват в рамките на няколко дни. Късните прояви (часове до дни след травмата) могат да включват упорито главоболие, лесна уморяемост, раздразнителност или други промени в настроението (напр. повишена тревожност, депресивност), нарушения на съня и трудности с концентрацията. Ако оплакванията продължат повече от 2­ 4 седмици, състоянието се означава като пост­комоционен синдром[4,5,8,11,12]. Това се наблюда-

ва при около 10 ­20% от случаите, особено при пациенти с предходни сътресения в анамнезата или с рискови фактори (напр. мигрена, психични заболявания)[4,5, 8,11,12] .

При оценката на всеки спортист с травма на главата е от изключителна важност да се търсят

Фиг. 2

Неврометаболитната криза след сътресение. Графиката илюстрира как непосредствено след удара настъпва краткотраен пик в мозъчния метаболизъм (повишена консумация на глюкоза) в опит да се възстанови йонното равновесие, последван от период на снижен метаболизъм и енергиен дефицит. Едновременно се

(механизъм, който нормално предпазва от хиперемия).

нарастващо главоболие, схващане на врата, кървене или теч на гръбначно мозъчна

течност от носа/ушите, видима деформация

на черепа. Наличието дори на един от тези признаци налага незабавно транспортиране в болница за доуточняване.

ПАТОГЕНЕЗА

При комоцио церебри липсват макроскопични лезии в мозъка – това е функционално, а не структурно увреждане[4,8]. На клетъчно ниво обаче настъпват комплексни патофизиологични промени. Механичните сили

Комбинацията от повишени енергийни нужди и намален кръвоток води до „метаболитна криза“ – състояние на относителен енергиен дефицит в мозъчната тъкан. Налице е парадокс: веднага след сътресението мозъкът изразходва глюкоза усилено (за да възстанови йонния баланс), но това е последвано от период на хипометаболизъм, през който енергийните запаси са изчерпани. Тази неврометаболитна увреда може да продължи дни до седмици, през които мозъ -

последица

и остра неврологична симптомати -

ка. За треньори, съдии и спортни ле -

кари е разработен опростен инстру-

мент за разпознаване – Concussion Recognition Tool 6 (CRT6)[5,12]. CRT6

представлява кратък чеклист, включващ наблюдаеми признаци (напр. дали спортистът лежи неподвижно, дали е некоординиран), симптоми за които може да бъде попитан (главоболие, гадене и пр.), проверки за ориентация (напр. „Кой ден сме днес?“) и прости тестове за памет. Ако CRT6 укаже вероятно сътресение или са налични някакви червени флагове, пострадалият не бива да про -

дължава участието си и трябва да се оцени от медицинско лице.

Клинична оценка и скрининг за сътресение: В идеалния случай, отстраненият спортист се преглежда от лекар (на място или в лечебно за -

ведение) възможно най ­ скоро. Златен стандарт е използването на стандартизирания протокол SCAT6 (Sport Concussion Assessment Tool, 6 ­та версия), публикуван през 2023 г. като наследник на SCAT5. SCAT6 включва: анкета за симптомите (напр. главоболие, гадене, затруднена концентрация – оценявани по тежест), тест за ориентация и памет (напр. въпросите на Maddocks за място, резултат, последни събития от играта – „Какъв

беше последният резултат?“, „Кой от отбора отбеляза точка?“, Кой беше последния отбор срещу когото играхме?“), оценка по скалата на Глазгоу (GCS), неврологичен преглед. SCAT6 се прилага от медицински специалист и отнема ~10 ­15 минути. Полученият резултат се сравнява с евентуален базов тест (ако спортистът има проведен такъв в началото на сезона) или се интерпретира спрямо нор

фрактура веднага след травмата. Показания за спешен КТ включват наличието на някой от посочените алармиращи симптоми червени флагове – например загуба на съзнание >1 мин., тежко главоболие с прогресия, неврологичен дефицит, повръщане повече от 1­2 пъти, признаци на черепна травма. Магнитно ­ резонансната томография (МРТ) е по ­ чувствителна при откриване на дребни лезии (контузионни огнища, микрокръвоизливи, дифузно аксонално увреждане), но обикновено се използва при пациенти с продължителни или атипични симптоми, когато трябва да се изключат други причини, както и при съмнение за шийна травма. При неусложненото мозъчно сътресение стандартният скенер и ЯМР са нормални. Затова липсата на изменения на КТ/МРТ не изключва сътресение, ако клинично то е налице. Диагнозата остава клинична. В последните години се работи върху допълнителни диагностични методи – например изследване на серумни биомаркери (невроспецифични протеини, освобождавани при мозъчна увреда като S100B, NFL и др.) или специализирани МР техники (дифузионно ­тензорна образна диагностика за откриване на аксонални увреждания, функционален MRI, PET скани

на екранното време (телефон, компютър, телевизия), както

отлагане на училищни или служебни задължения, които натоварват ума. През този период близките или медицински лица наблюдават за евентуално появяване на червени флагове, тъй като в редки случаи може да се развие субдурален хематом или оток след няколко часа. Лекарствено специфично лечение за сътресение няма; симптоматични средства като аналгетици за главоболие или антиеметици за гадене

са

шестте стъпки – от на -

чалната почивка (реститюция) до

ако няма симптоми. При възобновяване на оплакванията се предприема връщане към предиш -

Стъпаловиден RTP протокол[5,7]: Международният стандарт за връщане към спорт след сътресение е т.нар. Gradual Return To Play (RTP) протокол (Фиг. 3) – постепенна, поетапна програма, през която спортистът преми -

нава, преди да получи разрешение за пълноценна игра.

ПРИМЕРНА ПОСЛЕДОВАТЕЛНОСТ НА RTP (ЗА ВЪЗРАСТНИ СПОРТИСТИ) Е:

1. Почивка и лека активност: След изтичане

на първите 1­2 дни пълен покой, започва лека аеробна активност – кратки разход-

ки или много леко въртене на велоергометър. Целта е да се провери поносимостта към усилие.

2. Умерено натоварване: Джогинг

първото сътресение. За щастие, SIS е изключително рядък, но потенциалната му възможност лежи в основата на правилото ­ „никакво връщане в игра в деня на травмата“[1,3 ­5]

Дори и да не се стигне до SIS, повторните сътресения трябва да се приемат сериозно. Неврологичното възстановяване има своите граници и кумулативният ефект от множество сътресения може да доведе до трайни дефицити. Затова при всеки следващ епизод на комоцио, медицинският подход става по ­ консервативен. Общи препоръки са: при второ сътресение в рамките на един сезон спортистът да почива значително по ­дълго (най ­ малко 2­ 4 седмици) и да се обмисли прекратяване на състезателната дейност за остатъка от сезона, особено ако двете сътресения

тежки. Трето сътресение за кра -

период (в един сезон или година) е сиг-

че

може би надхвърля безопасното за съответния атлет – препоръчва се прекратяване на сезона, обстойна медицинска (вкл. неврологична) оценка и поставяне на въпроса за евентуално спиране на спортната кариера в името на дългосрочното здраве. Естествено, всяко решение е индивидуално, но тенденцията е ясна: с натрупване на сътресения толерансът пада (Табл. 1).

ДЪЛГОСРОЧНИ ПОСЛЕДИЦИ ОТ МНОГОКРАТНИ СЪТРЕСЕНИЯ Натрупването на многократни черепно ­мозъчни травми, дори и леки, може да доведе до необратими изменения в мозъка. През последните 15 години голямо внимание при-

влече т.нар. хронична травматична енцефалопатия (ХTE)[1,6] – дегенеративно мозъчно заболяване, свързвано с многократни епизоди на сътресение и субконкусивни удари (удари в главата, които не задължително причиняват явни симптоми на сътресение). CTE за

пръв път е описана при боксьори („деменция пугилистика“), а в наши дни се открива и при бивши играчи на американски футбол, хокей, ръгби, футбол, военни ветерани и др. Патологично ХTE се характеризира с натрупване на анормален тау­протеин в невроните и глията на специфични мозъчни области (медиална темпорална, фронтални лобове, диенцефални структури). Това наподобява картината на други невродегенеративни заболявания (Алцхаймер, фронтотемпорална деменция), но има различен разпределителен патърн, считан за характерен за травматична етиология. Клинично ХTE се проявява години след приключване на спортната кариера с постепенна промяна в личността (импулсивност, агресия, депресия), когнитивен упадък водещ до деменция, и понякога паркинсоноподобни двигателни нарушения. Окончателната диагноза ХTE е възможна едва постмортем, чрез хистопатологично изследване на мозъка.

Данните от проучвания сочат неочаквано висока честота на ХTE сред професионалните атлети. В клиникопатологично изследване от 202 починали играчи по американски футбол (НФЛ играчи), при 177 (88%) са установени патоморфологични белези на ХTE, включително 99% от изследваните са бивши играчи от НФЛ[6]. Макар тази извадка да е селектирана (семействата са дарили мозъците именно за -

Фиг. 4

Визуализация на някои от ключовите принципи от консенсуса Амстердам 2022. Акцент са но -

вовъведените концепции „Retire“ и „Refine“, които допълват досегашния модел (Recognise, Remove, Return и др.) и

подчертават необходимостта от индивидуален подход и грижа за бъдещето на атлета.

Тези принципи са ин -

тегрирани в актуалните препоръки за пове -

дение при сътресение.

Накратко, международ-

консенсус повеля -

ранно разпознаване

сътресение се третира сериозно и се проследя -

решаване на проблема.

играчи

американския футбол, които във всяка акция сблъскват глави без това да

причинява явни сътресения. Това показва, че

дори повтарящи се микротравми имат значе

ние в дългосрочен план.

Освен ХTE, многократните сътресения могат

да доведат и до други последствия: по ­ висок риск от лека когнитивна импаримент в сред-

на възраст, трикратно повишен риск от де -

пресия и тревожни разстройства, хронични главоболия, нарушения в равновесието

с R)

това са

или аспекти, които трябва да се имат предвид при мениджмънта

ведомеността и обучението, за да могат мозъчните сътресенията да бъдат разпознавани навреме. Това включва обучава

зрение за сътресение, спортистът незабавно се изважда от игра/ тренировка за оценка. Това предотвратява по ­ нататъшни удари в един уязвим мозък.

4. Re ­ evaluate (Преоцени): След първоначалното отстраняване, в следващите часове и дни пострадалият трябва да бъде прегледан от медицински специалист повторно. Понякога първоначалните симптоми са леки, но се развиват по ­ ясно по ­ късно.

5. Rest (Почивай): Относителна почивка в острия период – ограничаване на натоварването за 24–48

ч., с постепенно връщане към нор -

мална активност след това. Този принцип заменя старото схващане за продължителен пълен покой („stay in the dark room“), което

вече не се препоръчва.

6. Rehabilitate (Рехабилитирай): При

нужда включване на подходяща рехабилитация – физическа (вестибуларни упражнения, физиотерапия за шийния отдел при съпътстваща шийна травма) или когнитивна/психологическа (напр. терапия при тревожност, когнитивни тренировки). Целта е всички остатъчни симптоми да бъдат адресирани.

7. Refer (Насочи): Ако случаят е сложен или симптомите продължават, е важно да се насочи пациентът към специалист – невролог, неврохирург, спортен лекар, невропсихолог или друг, според случая. Специалистите могат да

преценят необходимостта от допълнителни изследвания или специфично лечение. 8. Recover (Възстанови [се напълно]): Уверяване, че спортистът е напълно възстановен преди връщане. Това включва изчезване на всички субективни симптоми, възстановяване на когнитивните функции до изходно ниво и нормален неврологичен статус. Никакво прибързване – този принцип е в основата на безопасността.

9. Return to Sport/School (Връщане към спорт/училище): Постепенното възобновяване първо на училищните/работните ангажименти, а след това – на спортните, според описания RTP протокол.

10. Reconsider (Преосмисли): Ако възстановяването

психологически фактори.

11. Refine (Усъвършенствай): Един от новите принципи, добавени през 2022 г. Той призовава към постоянно усъвършенстване и адаптиране на препоръките за различните целеви групи.

12. Retire (Откажи се [от спорт]): Друг

пострадалия;

ване

необходимия покой

вите дни; последващо постепенно възстановяване чрез структуриран RTP протокол; и стриктно избягване на преждевременно връщане, за да се предотврати „вторият удар“ и усложнения като SIS, са есенциални. CTE е дългосрочен риск за контактните спортове. Намаляване на ударите, подобрение на екипировката и промени в правилата могат да го смекчат.

1. Guskiewicz, K.M., et al., Recurrent concussion and risk of depression in retired professional football players. Medicine and Science in Sports and Exercise, 2007. 39(6): p. 903–909.

2. Halstead, M.E. and K.D. Walter, Sportrelated concussion in children and adolescents. Pediatrics, 2010. 126(3): p. 597–615.

3. Harmon, K.G., et al., American Medical Society for Sports Medicine position statement: concussion in sport. Clinical

Journal of Sport Medicine, 2013. 23(1): p. 1–18.

4. Longhi, L., et al., Temporal window of vulnerability to repetitive experimental concussive brain injury. Neurosurgery, 2005. 56(2): p. 364-374.

5. McCrory, P., et al., Consensus statement on concussion in sport—the 6th International Conference on Concussion in Sport held in Amsterdam, October 2022. British Journal of Sports Medicine, 2023. 57(11): p. 695-711.

6. Mez, J., et al., Clinicopathological evaluation of chronic traumatic encephalopathy in players of American football. JAMA, 2017. 318(4): p. 360-370.

7. Patricios, J., et al., What are the critical elements of sideline screening that can be used to establish the diagnosis of concussion? A systematic review. Br J Sports Med, 2017. 51(11): p. 888-894.

8. Giza, C.C. and D.A. Hovda, The new neurometabolic cascade of concussion. Neurosurgery, 2014. 75(Suppl 4): p.

S24-S33.

9. McCrea, M., et al., Unreported concussion in high school football players: implications for prevention. Clinical Journal of Sport Medicine, 2004. 14(1): p. 13–17.

10. Silverberg, N.D. and G.L. Iverson, Is rest after concussion “the best medicine?”: recommendations for activity resumption following concussion in athletes, civilians, and military service members. Journal of Head Trauma Rehabilitation, 2013. 28(4): p. 250–259.

11. ImPACT Applications, I. Immediate PostConcussion Assessment and Cognitive Testing (ImPACT). 2025; Available from: https://www.impacttest.com.

12. Medicine, B.J.o.S. SCAT6 and Child SCAT6. 2023; Available from: https://bjsm. bmj.com/content/57/11/725.

13. Control, C.f.D. and Prevention. Returning to Sports and Activities. 2023 Accessed April 2025]; Available from: https://www. cdc.gov/heads-up/guidelines/returning-tosports.html.

В.

Парциална "Скроена по аневризмата" предна

клиноидектомия

МАТЕРИАЛИ И

МЕТОДИ

За периода март 2023 г. ­ февруа -

ри 2024 г. в клиника по неврохирургия на „Аджибадем

Сити Клиник УМБАЛ Токуда“ е проведе -

но оперативно лечение

тора. При пациентите е осъществе -

на миниптерионална краниотомия

с дрилиране на сфеноидния гребен, последвано от микрохирургична дисекция на оптичен нерв и оптико -

каротиден триъгълник. Дурата над предния клиноиден израстък се прерязва кръстовидно със скалпел 15 и се замята като флап. Дрилирането се осъществява със скоростен дрил Medtronic с диамантен борер с диаметър 2 мм и с Керисон 2 мм в обем

форма, напасната към всеки инди

РЕЗУЛТАТИ Парциалната „скроена“ според аневризмата предна клиноидектомия е осъществена гладко без инциденти и усложнения както по отношение на премахването на костта, така и по отношение на клипсирането на аневризмата. Средното оперативно време е 4.25 часа (4.15 ­7 часа), а

пациенти в клиничната серия. Описани са няколко класификации на обема премахване преден клиноид, основно базирани за неговото волуметрично[18] или анатомично[4] подразделяне. Понякога, необходимото премахване на кост е само малко от върха на израстъка и малко от оптичния канал, което трудно може да се класифицира. Терминът „скроена“ предполага индивидуален подход, базиран на клиничен опит и преценка.

Разновидности на техниката Предната клиноидектомия е описана за първи път през 1952 г. и впоследствие е прилагана и описвана от известни неврохирурзи като Drake[7], Yashargil[20], Pernetzky[8]. Екстрадуралната клиноидектомия, като част от транскавернозен достъп до аневризми на върха на базиларната артерия[6].

От както техниката е описана са изследвани и публикувани множество

нейни разновидности: екстрадурална[3,9,12,19], интрадурална[20,21] или комбинирана[5,11]; пълна или парциална[16]; осъществена с дрил, с костен ултразвуков аспиратор[16] или само с Керисон[2]. Интрадуралната техника е предпочитана при аневризмална хирургия поради по ­добрия контрол върху околните съдово ­ нервни структури. Това е и прилаганата в настоящото проучване техника.

Предната клиноидектомия е прилагана в хода на птерионална краниотомия[6,13] , орбитозигоматична краниотомия[4] или латерална орбитална краниотомия[16]. В настоящата клинична серия е използвана миниптерионална краниотомия, която предоставя възможност за широко отдисециране на

усложнения

[1]

увреда

каротидна артерия или офталмична артерия, както и интраоперативна

или термична увреда на оптичен нерв. Костните усложнения най ­ често са навлизане в сфеноиден синус и се изразяват в постоперативния

1. Alejandro SA, Carrasco-Hernández JP, da Costa MDS et al. Anterior Clinoidectomy: Intradural Step-by-Step En Bloc Removal Technique. World Neurosurg 2021;146:217231

2. Chang DJ. The "no-drill" technique of anterior clinoidectomy: a cranial base approach to the paraclinoid and parasellar region. Neurosurgery 2009; 64:ons96-105; discussion ons105-106

3. Coscarella E, Başkaya MK, Morcos JJ. An alternative extradural exposure to the anterior clinoid process: the superior orbital fissure as a surgical corridor. Neurosurgery 2003; 53:162-166; discussion 166-167

4. Day AL. Aneurysms of the ophthalmic segment. A clinical and anatomical analysis. J Neurosurg 1990;72:677-691

5. Dolenc VV . A combined epi- and

subdural direct approach to carotidophthalmic artery aneurysms. J Neurosurg 1985;62:667-672

6. Dolenc VV, Skrap M, Sustersic J et al. A transcavernous-transsellar approach to the basilar tip aneurysms. Br J Neurosurg 1987;1:251-259

7. Drake CG, Vanderlinden RG, Amacher AL. Carotid-ophthalmic aneurysms. J Neurosurg 1968;29:24-31

8. Fries G, Perneczky A, van Lindert E et al. Contralateral and ipsilateral microsurgical approaches to carotid-ophthalmic aneurysms. Neurosurgery 1997;41:333342; discussion 342-333

9. Froelich SC, Aziz KM, Levine NB et al. Refinement of the extradural anterior clinoidectomy: surgical anatomy of the orbitotemporal periosteal fold. Neurosurgery 2007;61:179-185; discussion 185-176

10. Hauser MJ, Gass H. Optic nerve pressure by aneurysm relieved by decompression of optic nerve; report of a case. AMA Arch Ophthalmol 1952;48:627-631

11. Kulwin C, Tubbs RS, Cohen-Gadol AA. Anterior clinoidectomy: Description of an alternative hybrid method and a review of the current techniques with an emphasis on complication avoidance. Surg Neurol Int 2011;2:140

12. Noguchi A, Balasingam V, Shiokawa Y et al. Extradural anterior clinoidectomy. Technical note. J Neurosurg 2005;102:945950

13. Nutik SL . Pterional craniotomy via a transcavernous approach for the treatment of low-lying distal basilar artery aneurysms. J Neurosurg 1998;89:921-926

14. Park JS, Kwon MY, Lee CY. Minipterional craniotomy for surgical clipping of anterior

circulation aneurysms: compatibility between the feasibility, safety and efficiency. J Cerebrovasc Endovasc Neurosurg 2020;22:65-77

15. Rhoton AL, Jr. The anterior and middle cranial base. Neurosurgery 2002;51:S273-

302

16. Romani R, Elsharkawy A, Laakso A et al. Tailored anterior clinoidectomy through the lateral supraorbital approach: experience with 82 consecutive patients. World Neurosurg 2012;77:512-517

17. Rychen J, Croci D, Roethlisberger M et al. Minimally Invasive Alternative Approaches to Pterional Craniotomy: A Systematic Review of the Literature. World Neurosurg 2018;113:163-179

18. Tripathi M, Deo RC, Damodaran N et al. Quantitative analysis of variable extent of anterior clinoidectomy with intradural

and extradural approaches: 3-dimensional analysis and cadaver dissection. Neurosurgery 2015;11 Suppl 2:147-160; discussion 160-141

19. Yang Y, Wang H, Shao Y et al. Extradural anterior clinoidectomy as an alternative approach for optic nerve decompression: anatomic study and clinical experience. Neurosurgery 2006;59:ONS253-262; discussion ONS262

20. Yasargil MG, Gasser JC, Hodosh RM et al. Carotid-ophthalmic aneurysms: direct microsurgical approach. Surg Neurol 1977;8:155-165

21. Youssef AS, Abdel Aziz KM, Kim EY et al. The carotid-oculomotor window in exposure of upper basilar artery aneurysms: a cadaveric morphometric study. Neurosurgery 2004;54:1181-1187; discussion 1187-1189.

ВЪВЕДЕНИЕ

Хистиоцитните неоплазии са редки

туморни образувания, произхожда -

щи от хистиоцити ­ клетки на имун -

ната система, играещи значителна

роля в защитата на организма[1,2,5,7,10]

Когато тези неоплазии се локали -

зират в черепната кухина, те могат

да провокират хронично повише -

ние на вътречерепно налягане, кое -

то се проявява с различни невроло -

гични симптоми ­ главоболие, гадене

и повръщане и зрителни наруше -

ния[1­3,7]. Ранната диагностика и подходящите лечебни мероприятия са

от критично значение за предотвра -

тяване на сериозни и животозастра -

шаващи усложнения и запазване на

качеството на живот на засегнатите от това състояние пациенти. В на -

стоящата статия представяме рядък

клиничен случай на пациент с хро -

нична интракраниална хипертензия с

екстремни стойности на налягането, предизвикана от лептоменингиална хистиоцитна неоплазия.

КЛИНИЧЕН СЛУЧАЙ

Пациент от мъжки пол, на 62­ годиш -

на възраст, с анамнеза за артериална хипертония и стеноза на вертебралния канал C6 ­ C7 е хоспитализиран в Клиниката по неврология и меди

последвани от втренчване на погле

да и период на некритичност. Предходно известното главоболие персистира и се е засилвало през този период, като в последните месеци е придружено и от субективно нарушение на зрението и, по данни на близките, епизоди на безкритичност и обърканост. Проведени са селективна коронарна ангиография и Холтер електрокардиография, които не намират патологични отклонения, можещи да обяснят състоянието. Проведена

лен кортекс. Патологичната тъкан интимно адхерира към мозъчния кортекс, изцяло ангажирайки пиа матер, при което опитът за отстраняването ѝ бива съпроводен от тотална и травматична деваскуларизация на подлежащото сивото вещество. Аналогична е и съдбата на по ­ големите артериалните съдове от периневралната васкуларна територия в менингиалния компартмент, както и на кортикалните и мостовите вени. Дифузността на процеса и гореописаните му инвазивни характеристики предопределят лимитирането на интервенцията до недеструктивни обеми с осъществяването на разширена биопсия от непосредствено достъпния регион. Общото, вирусологичното и микробиологичното изследвания на цереброспиналната течност не намират съществени отклонения от нормата. При цитологичния анализ не се установяват туморни клетки, а единствено лимфоцити и моноцити.

Независимо от безинцидентното протичане на интервенцията и гладкия постоперативен период, при пациента персистира в пълен обем симптоматиката на интракраниална хипертензия. След микробиологично потвърдената липса на инфекциозни агенти в цен -

тралната нервна система е взето решение за постигане на траен контрол на интракраниалното налягане посредством имплантиране на

мичното изследване демонстрира позитивна реакция за CD45, S100 и CD68 в хистиоцитите, а негативна за CD1 alpha. Лимфоцитите

показват позитивност за CD3 и CD20, а плазмоцитите за CD138. Пролиферативният маркер Ki ­ 67 е позитивен в около 1­2% от клетките. Резултатите съответстват в голяма степен на хистиоцитна неоплазма, непроизхождаща от Лангерхансовите клетки (не ­Лангерхансовоклетъчна хистиоцитна неоплазма).

Още през първите постоперативни часове при пациента се наблюдава драстично подобрение – овладяване на цефалгията, възстановяване на активността и критичността на пациента, възстановяване на зрителната функция. Не се наблюдава нова епилептична симптоматика на фона на провежданата антиепилептична терапия. Пациентът е рефериран за последващо стадиране на евентуално екстракраниално ангажиране от хистиоцитната неоплазма.

ДИСКУСИЯ Хистиоцитните неоплазии представляват хетерогенна група от редки хемато ­лимфоидни тумори, произхождащи от хистиоцити и дендритни клетки на имунната система[1,2,5,10]. Тези заболявания се характеризират с патологично натрупване на клетките в различни органи и тъкани, което води до широк спектър от клинични прояви[1,10]. Класификацията на хистиоцитните

Засягането на нервната система е ха -

рактерно на много хистиоцитни не -

оплазии, въпреки че честотата варира в зависимост от конкретната клинична форма[1,3]. При LCH, напри -

мер, неврологичните усложнения се срещат при 5 ­20% от пациентите и

могат да включват лезии в мозъчния ствол, малкия мозък, базалните ган -

глии, както и дурални лезии при 30%

от случаите с ангажиране на ЦНС[1,3].

Болестта на Ерхайм ­Честър може да

засегне нервната система в около 40% от случаите, като има предилек-

ция към мозъчния ствол, малкия мо -

зък, супратенториалнота бяло вещество и хипофизата[1,4, 10]. RDD засяга

ЦНС по ­ рядко от другите форми (около 10% от случаите), но най ­ често се

проявява като дурални лезии[1,10]

Интракраниалната хипертензия

може да възникне като симптом на хистиоцитно засягане на ЦНС по различни механизми – обемните лезии,

образувани от инфилтрацията на

хистиоцити в мозъчния паренхим, менингите или други интракраниални структури, могат да доведат до обструкция на ликворната циркулация или до директен мас ­ ефект. Ме -

нингиалната инфилтрация, както при конкретния клиничен случай, също

резорбция на ликвор, също водещо до повишено вътречерепно налягане. Интракраниална хипертензия вследствие менингиална инфилтрация е рядко описвана в литературата

ходка

симптом

различните клинични форми, основно при изолирано засягане на ЦНС[1,9].

Настоящият клиничен случай представя необичайна проява на не ­Лангерхансовоклетъчна хистиоцитна неоплазия, ангажираща фалкс церебри и дура матер фронтално, установена чрез хистологично изследване след биопсия. Клиничната анамне

(позитивни CD45, S100 и CD68, но негативен CD1 alpha), съответстват на не ­Лангерхансовоклетъчна хистиоцитна неоплазия[1,4,8]. Случаят подчертава диагностичните предизвикателства при редките хистиоцитни неоплазии, особено когато засягат изолирано

на интерхемисферната

фронтал

двустранно, заедно с измереното ликворно налягане от 400 мм воден

вторично ­индуцирана от менингиална инфилтрация интракраниална хипертензия. Морфологичните характеристики, както

1. Banks SA, Sartori Valinotti JC, Go RS, Abeykoon JP, Goyal G, Young JR, Koster MJ, Vassallo R, Ryu JH, Davidge-Pitts CJ, Ravindran A, Bennani NN, Shah MV, Rech KL, Tobin WO Neurological Manifestations of Histiocytic Disorders. Curr Neurol Neurosci Rep 2023;23:277-286

2. Choi Y, Lee Y, Kim YI, Yang SH A Rare Case of Isolated Central Nervous System Neoplasm With Histiocytic Features. Brain Tumor Res Treat 2025;13:23-28

3. Cohen Aubart F, Idbaih A, Emile JF, Amoura

Z, Abdel-Wahab O, Durham BH, Haroche J, Diamond EL Histiocytosis and the nervous system: from diagnosis to targeted therapies. Neuro Oncol 2021;23:1433-1446

4. Conley A, Manjila S, Guan H, Guthikonda M, Kupsky WJ, Mittal S Non-Langerhans cell histiocytosis with isolated CNS involvement: an unusual variant of Erdheim-Chester disease. Neuropathology 2010; 30:634-647

5. Emile JF, Abla O, Fraitag S, Horne A, Haroche J, Donadieu J, Requena-Caballero L, Jordan MB, Abdel-Wahab O, Allen CE,

Charlotte F, Diamond EL, Egeler RM, Fischer A, Herrera JG, Henter JI, Janku F, Merad M, Picarsic J, Rodriguez-Galindo C, Rollins BJ, Tazi A, Vassallo R, Weiss LM

Revised classification of histiocytoses and neoplasms of the macrophage-dendritic cell lineages. Blood 2016;127:2672-2681

6. Estrada-Veras JI, O'Brien KJ, Boyd LC, Dave RH, Durham B, Xi L, Malayeri AA, Chen MY, Gardner PJ, Alvarado-Enriquez JR, Shah N, Abdel-Wahab O, Gochuico BR, Raffeld M, Jaffe ES, Gahl WA The clinical spectrum of

Erdheim-Chester disease: an observational cohort study. Blood Adv 2017;1:357-366

7. Goyal G, Young JR, Koster MJ, Tobin WO, Vassallo R, Ryu JH, Davidge-Pitts CJ, Hurtado MD, Ravindran A, Sartori Valinotti JC, Bennani NN, Shah MV, Rech KL, Go RS The Mayo Clinic Histiocytosis Working Group Consensus Statement for the Diagnosis and Evaluation of Adult Patients With Histiocytic Neoplasms: Erdheim-Chester Disease, Langerhans Cell Histiocytosis, and Rosai-Dorfman Disease. Mayo Clin Proc 2019;94:2054-2071

8. Loureiro BMC, Altemani AM, Reis F Erdheim-Chester disease with isolated neurological involvement. Radiol Bras 2018;51:206-207

9. Modan-Moses D, Ben-Zee B, Feldman Z Langerhans' cell histiocytosis presenting as intracranial hypertension. J Child Neurol 2001;16:414-416

10. Yamada R, Komohara Y Histiocytic neoplasms: a brief review and differential diagnosis. J Clin Exp Hematop 2024;64:156165

Turn static files into dynamic content formats.

Create a flipbook
Issuu converts static files into: digital portfolios, online yearbooks, online catalogs, digital photo albums and more. Sign up and create your flipbook.
Medical Magazine 05 2025 by Списание Кенгуру - Issuu