Hervey Bay Advertiser and Hervey Bay Property Guide

Page 1


3D imaging your gums for the perfect

If you’re happy with your current FULL dentures, we can copy them for youno impressions required.

Precise CAD designed & manufactured Durable Milled from high impact premanufactured discs

Consistency Same set of dentures can be reproduced many times Digital backup Can be remade at any point

Customisable Many shades and teeth shapes available

Convenient Faster to make, less appointments CAD DESIGNED DIGITAL DENTURES AVAILABLE NOW IN HERVEY BAY NEW 4124 0800 COPY

CHRISTMAS PARTIES in paradise

Packages

FEW topics have prompted as much public interest as the future of the Torquay Foreshore.

In the midst of that discussion, Councillor Lachlan Cosgrove has shown a willingness to front the community through the Hervey Bay Advertiser and explain his thinking, setting out a transparent case for change while underscoring the importance of community consultation.

Cr Cosgrove spends time on the Esplanade as a local first and a councillor second.

He talks about the simple things that draw people to Torquay; shade, grass, ocean views, and the ease of crossing the street for a coffee.

That combination, he argues, is scarce across Hervey Bay’s four business activity nodes (Pialba, Scarness, Torquay and Urangan).

In his view, that scarcity creates a once in a generation chance to deliver a premium oceanfront parkland embedded in an active

discussion and wants people to understand how he’s reached his view.

He’s open to hearing different perspectives and

precinct – ‘the missing piece’ that could elevate local lifestyle and visitor experience.

If that sounds like a firm position, it is, but it is not a closed mind.

Cosgrove says he welcomes

from the public through the official engagement process.”

“If there is an overwhelming result one way or the other, once consultation finishes,

where residents can think through a substantive public-policy choice about a strategic piece of foreshore, that doesn’t dismiss people’s

believes respectful debate leads to better decisions.

He notes that formal consultation matters and must carry real weight.

“It is incumbent upon us to consider strongly the feedback

that is going to have a heavy impact on my final decision. I think it will ultimately control the outcome in the room, from all councillors.”

He stresses that engagement should be a two-way dialogue

urging a deeper conversation than ‘top-of-mind Facebook responses’.

Cr Cosgrove’s argument also speaks to stewardship of public money.

He notes that projected capital works across the foreshore caravan parks climbed dramatically in recent years, which is why he supported pausing to test whether the balance of investment still felt right.

To him, that made perfect sense.

“It is completely appropriate to pause before investing a large sum of money that locks in a very strategic piece of land for another 30 years,”

lived experience, rather places it inside a framework designed to inform a long-term decision.

He believes there is a difference between online noise and the official process,

he says.

“The motion was passed unanimously”.

His point is about diligence, and Council should interrogate big spending, to be certain they deliver the greatest community value.

Central to his consideration is the idea of “nodes”, or places where parkland, beach and business reinforce one another.

He told the Hervey Bay Advertiser that the best open spaces do not sit apart from activity, they spark it.

He points to examples where families flow between shaded lawns and nearby shops, creating the kind of all-day street life that benefits residents and traders alike.

It is, he says, the difference between simply adding grass and deliberately creating a place.

Some have mistaken his stance as simply supporting development and talking about higher rated properties filling the void, but Cosgrove says it’s about creating balance and thinking longterm.

“People tell me, ‘You are not

listening to the community. I most certainly am, but I am also taking the time to understand all the issues before making a decision and I am trying to strike a balance between listening and leading.”

He is frank about the risks of speaking plainly.

In a climate of heightened sentiment, advancing a case can be personally costly.

Whilst it is obvious that this weighs on him, he notes that any public backlash is “tiny compared to not having the case made properly”.

“Residents deserve to hear both sides before council locks in the next thirty years of the foreshore.”

None of this suggests action tomorrow.

If change were ultimately endorsed, Cosgrove stresses, council would still move through methodical due diligence, design, costing, and staging, over years, not weeks.

The point for now is to let the consultation run, weigh its findings, and decide with eyes open.

Agree or disagree with his preferred outcome, there

is a measure of leadership in fronting the community, setting out the reasoning, and promising to read the room when the official numbers land.

In a debate long on volume and short on patience, Cosgrove is trying to do both. Make the case and listen to the crowd.

The Hervey Bay Advertiser is publishing a series of articles relating to the Torquay Caravan Park debate. All comments attributed to elected representatives reflect their personal views and not those of the Fraser Coast Regional Council as an organisation.

COUNCILLOR Denis

Chapman has issued a blunt warning to Fraser Coast residents, if Torquay’s Beachfront Tourist Park is replaced with open space or a playground, ratepayers will be footing the bill for generations to come.

“I look at running this community as a business,” Chapman said.

“We should be looking for more revenue streams, not losing one. The caravan park doesn’t just make money for Council, but it also brings money into our region. That money goes through local shops, businesses, and wages. It generates employment to mow our parks, fix our roads, and run our sewage. That’s what keeps a community going.”

Chapman rejects any suggestion that the Torquay foreshore’s caravan park should make way for green space.

“Any green space will be a straight out cost to the community and the loss of

any revenue will have a critical impact on the growth of our growing community”.

“Once you replace it with a playground or open parkland, the ratepayer will have their hand in their pocket forever. It becomes a cost centre, not an income earner.”

Cr Chapman said the park was far more than just a line item in Council’s budget, it was a proven driver of tourism, employment, and economic flow-on.

“They come here from Melbourne, from everywhere. When they are caravanning, they talk to people, go out for dinner, buy from shops, visit the RSL, the Boat Club, it all goes back into our local economy. Without that, our jobs and small businesses suffer.”

Cr Chapman said those who dismiss the park’s economic importance are simply ignoring the facts.

“The argument that only old people stay there and that they don’t spend any money is completely wrong. I have

personally seen plenty of young people with rooftop tents on their four-wheel drives, out touring. They love it because they are right on the water, it’s affordable, social, and exactly what makes Hervey Bay special.”

When it comes to creating more open space, Chapman was candid.

“We have kilometres of foreshore that is underused most of the year. What we should be doing is improving existing parks at Scarness, Torquay, and Urangan, not removing one of the few assets that actually generates revenue.”

Chapman said the financial case against removing the park was straightforward.

“The premium option they are talking about, the big playground, is around $16 million. Even the simpler open space is $5 million. Council doesn’t have that lying under the pillow. Either another project doesn’t go ahead, or rates go up. That’s just how it works.”

He compared the decision that he and other councillors make, is akin to managing a household budget.

“You want to buy something, you have to ask, do I need it, will it be a benefit and can I actually afford it? If not, forget it and move forward.”

When asked by the Hervey Bay Advertiser if he was surprised by the overwhelming public response to Community Consultation, he simply said “No, not at all.”

“This community gets involved when something matters. I have been a councillor for nine years and people care deeply about keeping what makes Hervey Bay unique. We can move forward and grow, but Hervey Bay will always be Hervey Bay.”

In February of this year, Chapman backed his current position with data that was collected from Torquay Caravan Park visitors.

“The Torquay Caravan Park operators collected receipts for two weeks. Even at about 45% occupancy during this time, $30,275 was spent locally in that period.”

He said Council now needs to listen to that same community.

“The decision is with the people. Once they have spoken, Council should follow. We asked for their views, now we need to respect them.”

Chapman said he has seen enough consultation fatigue to know when the public’s message is consistent.

“This community has said before that they do not want to lose the caravan park. We spent $100,000 on a consultation process that we didn’t need because the community had already spoken through the foreshore master plan. They made it clear what they value, and it’s time we listened.”

The Hervey Bay Advertiser is publishing a series of

articles relating to the Torquay Caravan Park debate. All comments attributed to elected representatives reflect their personal views and not those of the Fraser Coast Regional Council as an organisation.

IN THE HERVEY Bay Advertisers first extended conversation with Councillor John Weiland, it became quickly apparent that he held no hardened view on the Torquay Caravan Park but a calm focus on something larger, the city Hervey Bay can become.

Cr. Weiland is clear that he will abide by the outcome of Council’s community consultation on the Torquay foreshore.

“I’ll be pretty well influenced by the feedback,” he said. “If it’s overwhelming, I don’t think any councillor could, or would, vote against it.”

He accepts that participation has been uneven, with highly motivated residents dominating submissions while many busy families have not had time to engage.

“If someone handed me a survey while I have three kids in tow, I wouldn’t stop and do it either,” he said.

“But everyone has equal opportunity. If they choose not to take part, there is little we can do about that”.

Cr. Weiland believes that input still matters, even from those who might never fill out a form.

“The average person’s view is just as valid as the most vocal campaigner,” he said. “They are still a ratepayer and they still live here.”

Yet his mind is already trained on a broader horizon.

When asked if the narrative that the Torquay Caravan Park should go, to create green space that will foster youth retention, his response was broad and future focussed.

“The real question is not just whether the caravan park stays or goes, but how Hervey Bay will house and sustain the next generation”.

“We need diversity, not just density,” he explained.

“Ninety-seven percent of our housing is suburban sprawl, the most expensive to buy and the most expensive to service. I would love to see a space where you could live, work, and study, and get around on our transport network. That’s what will attract and keep young people here.”

Cr. Weiland points to the Pialba CBD as the logical heart of that transformation.

“That is where our infrastructure can handle growth. We have just updated the planning scheme to allow more density in strategic nodes. It is not about high-rise everywhere, but it is about giving people options.”

The Councillor sees well-designed infill as both an economic and social imperative.

“Friends of mine who are single parents just want an apartment, but there are none. Our market is one-dimensional. If we can add other tiers of housing, hopefully at lower price points, it benefits everyone.”

“We need new projects that actually help local families buy a home, not just add to the top end of the market.”

While some see Hervey Bay’s ageing demographic as a problem, Weiland calls it a compliment.

“What a thing, that people want to retire here. But we have to

balance that growth. The hospital is crying out for a workforce. Young professionals just won’t come if there’s nowhere affordable to live. That is the main issue, not the Caravan Park”. Weiland concedes that the caravan park debate is all but over, but he sees opportunity elsewhere.

“I think the Torquay Caravan Park will stay,” he said, “but we need to improve that area so tourists have a better experience. Look at any major regional coastal city, they all have a signature parkland facing the water”

His openness to a “both-and” approach, protecting the park while planning new parklands, contrasts starkly with some of the zero-sum tone that has defined much of the current debate.

“It’s not one or the other,” he said. “We can have both, if we get it right.”

As the Torquay Foreshore Community Consultation draws record responses, Weiland says councillors would do well to respect the strength of public feedback and remains careful not to make promises beyond what the community decides.

“This is not about us making a decision for today,” he said.

“It’s about shaping a city the next generation will be proud to call home.”

The Hervey Bay Advertiser is publishing a series of articles relating to the Torquay Caravan Park debate. All comments attributed to elected representatives reflect their personal views and not the official position of the Fraser Coast Regional Council.

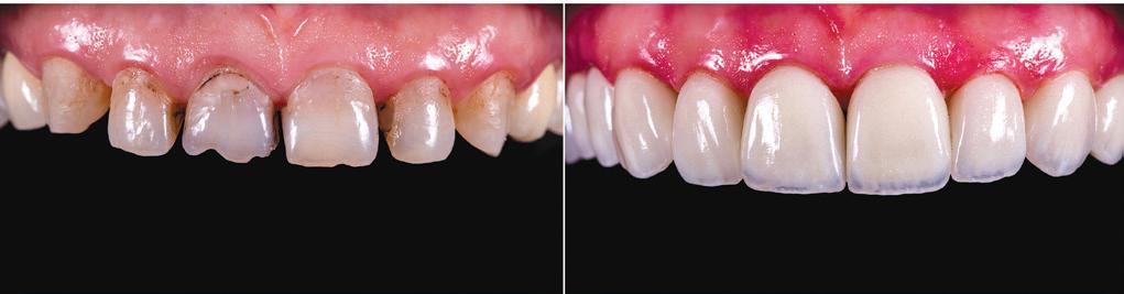
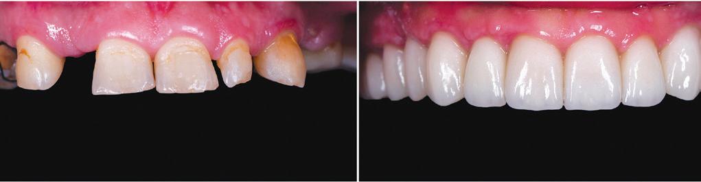
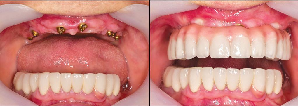
COSMETIC DENTAL
CROWNS & BRIDGES

FRASER Coast Councillor Paul Truscott says he has not met a single person outside the Council chamber who supports removing the Torquay Beachfront Tourist Park, describing the issue as one of the most strongly felt community debates he has witnessed in local government.

“It would be one of the top three,” Cr Truscott said.

“The sports precinct would probably be the other big dividing one that stands out in my mind, and lastly the new administration building in the Bay. Of all the issues I have seen, the caravan park would take first place.”

He said while previous issues such as the sports precinct had generated both strong support and opposition, the caravan park discussion had been notably one sided.

“Outside of the Council chamber room, I have not had one single person tell me that we should get rid of the caravan park in favour of an open space area or playground,” he said.

Although Cr Truscott represents Maryborough, he said the conversation reaches well beyond Hervey Bay.

“Since the discussion has come about, the only community message that I have received, and primarily from people in Maryborough, is the same. Do not get rid of that Torquay Caravan Park,” he said.

“They have sentimental attachment to it, dating back decades. Thousands of residents have expressed their concern through a petition and businesses have been vocal about their concerns also. People ask, ‘Why would you get rid of a Council asset that produces income? Wouldn’t that just mean you have to raise rates if it was removed ?’

“There are people who have stopped me on my morning walks and said, ‘Make sure you keep it.’ Even visitors from out of town have said the same thing.”

Speaking with The Hervey Bay Advertiser, Cr Truscott said his personal position had been clear since the issue first arose.

“I need to make it clear that these are my personal views and not the official position of Council,” he said.

“I’ve always been of the opinion that we should not remove

an income producing asset, such as the caravan park, especially one that is so appreciated by our community and guests. Out of the many kilometres along the Esplanade, there are other suitable areas that I believe could be considered if an additional park or recreation space was necessary.”

He added that arguments suggesting the caravan park should make way for new youth spaces or to assist future development did not convince him.

“I don’t buy into either one of those arguments for getting rid of the caravan park because I don’t think it will make a difference, really, to try to retain youth by not having a caravan park there,” he said.

“There are so many other options already available on the Esplanade that I don’t think making one more there is going to make a difference. There are literally green space parks either side of this Torquay Caravan Park, use those.”

Cr Truscott said he believed the community’s view was already well established and consistent.

“I think this is going to be a waste of time because we know

what the community wants already,” he said.

“It was overwhelmingly evident at that time that people wanted to keep the caravan park. So, I felt that this whole process has been a waste of time and money in my personal opinion, of course. But I respect the process of democracy and I will wait to see what the outcome is, but I believe it will be in support of retaining the caravan park.”

He said that if additional parkland or playground space was genuinely needed, there were other areas along the Esplanade that could be considered without removing a valuable community asset.

“If the community wanted more park and open space, why not find another section of the Esplanade that’s not already utilised by an income producing asset and put a park there?” he said.

He encouraged residents to make their views known through the official consultation survey.

“I strongly encourage everyone with a view on the matter to share their thoughts through the official consultation survey process,” he said.

“This is the official process that will make part of the report that is put to all councillors to make a decision on. I will be waiting to see the results of the survey process before making any final determination.”

The Hervey Bay Advertiser is publishing a series of articles relating to the Torquay Caravan Park debate. All comments attributed to elected representatives reflect their personal views and not those of the Fraser Coast Regional Council as an organisation.

FRASER Coast Mayor George Seymour has confirmed he will recontest the mayoralty at the next local government election in 2028, telling The Hervey Bay Advertiser that he remains deeply committed to ‘a vibrant, healthy, active community’ and wants to see through key projects that will shape the region’s future.

“I love the job,” Mayor Seymour said.

“By 2028 I will have been Mayor for ten years, and I still feel there is a lot more we can do together, to make the Fraser Coast a great place for people of all ages.”

In an exclusive interview with the Hervey Bay Advertiser, Seymour gave an undertaking that his vote on the future of the Torquay Beachfront Tourist Park will follow the outcome of community consultation.

“I will vote exactly as the majority of the community says. If the feedback comes back that more people are in favour of retaining the caravan park, then that is what I will support.”

Whilst he acknowledged that the feedback so far has been very strongly in favour of retaining it as a caravan park, Seymour said he expects a range of opinions to be expressed via the Community Consultation.

“I am sure there will also be people with a different view. We want to hear from everyone. The higher the number of people who respond to this question the better.”

Pialba caravan parks, the vote to proceed with a review and community consultation was unanimous, not because councillors necessarily supported any change, but because they recognised that the community must not be excluded

increases democracy,” he said.

“When that motion came up, everyone supported going out to the public. It’s hard to vote against asking people what they think, that is the bedrock of engagement.”

Reflecting on how the debate began, Seymour noted that when Councillor Zane O’Keefe first moved the October 2024 motion to review the future of the Torquay and

from having a voice in such an important decision.

“I voted to support taking it to the community, albeit unenthusiastically, because I believe in anything that

Fraser Coast Community Notice

Official meeting transcripts record that Seymour supported the motion at the time, noting his position was taken ‘unenthusiastically’.

“I voted to support taking it to the community, because I believe in anything that strengthens democracy.”

“When the motion came up, everyone agreed to seek public input. It’s difficult to vote against asking people what they think, that’s the foundation of genuine community engagement.”

“We should always be looking for ways to increase participation in civic affairs. Democracy should be much more than voting once every four years.”

When asked whether some residents might feel there were other priorities more deserving of Council’s attention, Mayor Seymour acknowledged that sentiment.

“I understand that

perspective,” he said.

“There are always alternative priorities, for example, investing further in sporting facilities or other community assets would also be worthwhile subjects for consultation.

“But once the motion was on the table, the proper course was to ask the community. That was the correct and transparent process to follow.”

Pressed on whether the consultation process had been intended to quickly deliver the removal of the caravan park, Seymour said no outcome could be delivered hastily.

“Any future change would still need to go through the usual budget and planning processes. Nothing could happen in the short term, any works would be well beyond the next election,” he explained.

Questioned about whether councillors who voted against retaining the caravan park might face electoral consequences in 2028, Seymour remained suitably measured.

“That’s a question for down the track and is ultimately for the community to decide.”

Seymour said he understood why advocates saw the financial case for retaining the Torquay Beachfront Tourist Park as compelling.

However, for him, it was about much more than just finances, but acknowledged that keeping the site as a caravan park provided an ongoing income stream and infrastructure that would not need to be replaced as soon as parkland facilities.

Whilst Seymour indicated his personal preference was for the site to remain as a caravan park, his larger view was about democratic decision making.

“There is a real question here,” he said.

“This land could be open space parkland and it could remain as a caravan park. There are arguments and justifications for both sides.

“Whilst I favour it staying a caravan park, I want to hear what the community says.

“I trust the community to make the right decision, and whatever comes back in the consultation is how I will vote.”

“I want to see more informed debate about important issues in our community, and this is an important issue.

“It is an important and special place on the Esplanade and

we should have a considered and informed debate about its future.

“This should be just the start in how we open up local democracy.”

Beyond the Torquay Caravan Park debate, the Mayor spoke about long term projects he believes will secure the Fraser Coast’s future, particularly the expansion of the University of the Sunshine Coast’s Hervey Bay campus.

“We are working closely with the university and other levels of government to achieve that,” he said.

sees the outcome.”

Throughout the interview, the Mayor was measured and reflective, speaking with evident affection for the region he calls home.

His passion for the Fraser Coast runs deep, a sentiment that underpins both his decision to remain in local government and his commitment to serve the community directly, where he believes he can make the most tangible difference.

Seymour said his greatest satisfaction comes from seeing the results of local decisions translated into real benefits for residents, new footpaths, community facilities and the kind of civic projects that improve everyday life.

He also spoke of the importance of maintaining balance and remaining close to his young family, saying that staying in local government allows him to contribute meaningfully without losing that connection.

He brushed off any suggestion of a future in state politics, insisting his focus remains firmly on his home community.

“This is where my heart is. I love this region and the people in it, and I want to keep giving back right here on the Fraser Coast.”

As he looks ahead to another term, the Mayor’s guiding philosophy remains unchanged.

“My focus is, and always will be, on building a community that’s vibrant, healthy and active.

“I am enthusiastic about democracy. We shouldn’t just set and forget every four years.

“The more ways we can involve people in decisions, the better the outcomes’.

He also touched on the evolution of the Hervey Bay CBD and his hope that recent investments will spark renewed vitality in the city centre.

“Once people start seeing a library that’s fit for the 21st century, with a podcasting room, maker spaces and a proper public hub, I think sentiment will change around the new Council Administration Centre.”

“It’s similar to what happened with the sports precinct. At the time, it was divisive. Now people want more facilities there.

“The same will happen in the CBD once the community

Thank you

The Hervey Bay Advertiser is publishing a series of articles relating to the Torquay Caravan Park debate. All comments attributed to elected representatives reflect their personal views and not those of the Fraser Coast Regional Council as an organisation.

to Fraser Coast Regional Council for

Fraser Coast Regional Council has again supported the Royal Flying Doctor Service (Queensland Section) by waiving over $135k in landing fees at Hervey Bay and Maryborough airports.

This continued support ensures the Flying Doctor is there for all Queenslanders –24 hours a day, 365 days a year.

CARAVAN Parks Association of Queensland Chief Executive Michelle Weston says the debate over Hervey Bay’s Torquay Caravan Park has lost sight of the real economics and the prosperity it generates for the entire community, not just the council ledger.

“The Torquay Caravan Park directly supports around 45 full-time equivalent tourism-related jobs in the wider community, people working in hotels, pubs, cafés, bottle shops and attractions,” Ms Weston said.

“But that is just the beginning. Using the industry’s economic-contribution calculator developed by BDO Australia, we can see the park generates around $5 million in gross domestic product (GDP) every year for the Fraser Coast economy.”

“That money ripples through local businesses, wages and services, supporting livelihoods far beyond the park itself. It’s not just a place to stay, it is a vital economic engine.”

Ms Weston said focusing narrowly on how much profit the council makes from operating the park misses the larger truth about caravan tourism’s value.

“It’s not about what Council banks,” she said. “It’s about how much money visitors bring into Hervey Bay from elsewhere — money that recirculates through local businesses and supports employment. Those are two very different things.”

“They are in the cafés, restaurants, and hardware stores. They buy from local butchers and markets. Every one of those transactions really matters.”

Some advocates for redevelopment have argued that the caravan park’s location deters new investment on the opposite side of the Esplanade because, as one submission put it, “no investor would consider building high-end accommodation or permanent

Contrary to claims that caravanning is a pastime of retirees who spend little, Ms Weston said industry data shows the opposite.

“It is actually the 30 to 54-year-old family market that takes the most caravan and camping trips.

“Families make up the largest segment in Queensland, and their spending patterns are substantial. Even older travellers on extended stays cannot carry weeks of supplies, they shop locally, eat out, enjoy tours, and really engage with the community.”

Michelle said that engagement turns static holidaymakers into active contributors to local life.

apartments facing the unattractive backyards of caravanners.”

Ms Weston said she found that reasoning “puzzling.”

“That’s actually an argument for keeping the caravan park”.

“Caravan parks are low-lying and open, which means any new building across the road would enjoy uninterrupted water views from nearly every floor.”

“They are also green, leafy spaces, full of trees and character, that complement higher-density development nearby. Across Queensland you see thriving foreshore parks sitting comfortably alongside apartments and resorts. The two coexist beautifully.”

She cited examples from the Sunshine Coast with long-

St James Lutheran Church

‘Called to Share’

standing, waterfront parks bordered by higher-density accommodation.

Michelle said the caravan and camping industry had enjoyed year-on-year growth for more than a decade, well beyond the post-COVID boom.

“Last year alone there was a 5% increase in the number of caravans and motorhomes registered nationally, and more than 240,000 are now registered in Queensland.”

“That is a huge travelling market. Regional communities like the Fraser Coast just cannot afford to lose their slice of it.”

“Beachfront caravan parks are iconic Queensland assets. Once they are gone, they are almost impossible to replace.”

Ms Weston believes the Torquay foreshore’s caravan park enhances, rather than detracts from the foreshore experience.

“Hervey Bay already has kilometres of parks and playgrounds. The caravan park adds life and vibrancy, people walking, cycling, dining out, shopping locally. It’s part of what makes the foreshore feel alive.”

As the Fraser Coast Regional Council’s public consultation on the park nears its close, already attracting record participation, she urged decision-makers to weigh community benefit over shortterm financial metrics.

“If council values the caravanning and camping market, keeping the Torquay Caravan Park is a no-brainer. It’s not just accommodation, it’s an economic engine and a social anchor for Hervey Bay.”

ACROSS the Fraser Coast, more families are noticing signs of anxiety in childrensleepless nights before school, tummy aches without a clear cause, sudden toileting issues, or emotional outbursts that seem bigger than the situation. What was once dismissed as “nerves” is now recognised as a growing mental health challenge affecting children of all ages.

Childhood anxiety has been steadily rising across Australia, and the Fraser Coast is no exception. Factors such as social media exposure, bullying, family stress and academic expectations have all contributed to higher stress levels among young people.

Many children are struggling to process big emotions and cope with everyday changes, leading to withdrawal, irritability, or avoidance behaviours.

Parents are finding that anxiety doesn’t just affect the child - it affects the whole family. Long waitlists for counselling or psychology services can make it difficult to access professional help quickly, which is why early support and prevention are so important.

Building coping skills early helps children develop confidence and emotional awareness before worry turns

into chronic anxiety.

Simple steps at home can make a difference: creating predictable routines, maintaining calm spaces, limiting screen time, and encouraging open conversations about feelings. Even asking the child what helps them feel calm, so they feel a sense of control. Activities such as

yoga, mindfulness, deep breathing, and outdoor play also promote relaxation and balance.

Equally important is how parents model their own coping strategies.

Children learn resilience by watching how adults handle challenges. Being open about your own experiences of stress or worry, while showing how you manage it in healthy ways, helps normalise these

feelings. For example, saying, “I’m feeling a bit stressed today, so I’m going for a walk to clear my head,” teaches children that it’s okay to feel uncomfortable and that there are ways to cope.

While some adults still believe that children need to simply “toughen up,” it’s important to remember that times have changed.

Today’s world is faster, louder, and more connected than ever before, and decades of research have deepened our understanding of mental health as well as neurodiversity.

Labelling a child as “precious” or a “sook” doesn’t help - it only teaches them to hide their emotions instead of managing them.

With empathy, patience, and understanding, families, schools, and communities can help children feel safe, supported, and confident to face life’s challenges.

On the Fraser Coast, early support can make all the difference in helping our young people not just cope, but truly thrive.

VIBRANCE, sea life, and a love of reading have all featured in the winning entries for this year’s Fraser Coast Libraries Design-a-Library Card Competition.

Fraser Coast Mayor George Seymour said the winners were announced this week at a special presentation, with 165 entries received across five age categories.

“The creativity and imagination in this year’s entries was truly inspiring,” Cr Seymour said.

“Library cards are more than just a way to borrow books, they are a passport to knowledge, creativity and connection.

“This competition not only gave people a chance to express their artistic side but also encouraged more people

AFFORDABLE

to engage with their library.”

Cr Seymour said the winning artworks range from vibrant colours and intricate details to imaginative storytelling through art, reflecting the diversity and spirit of the Fraser Coast.

“It’s going to be exciting to see these artworks transformed into library cards that will be used by thousands of residents,” he said.

“By inviting our community to design them, we’ve created a sense of ownership and pride, and we hope the cards inspire even more people to explore everything our libraries have to offer.”

• 0 to 6 years – Esmerelda Peters

• 7 to 11 years – Ahyla Hill

• 12 to 17 years – Sahara

Nowack

• 18 to 59 years – Alex Bell

• 60 years + – Gayle Natoli

Cr Seymour said the winning designs will feature on library cards issued across all Fraser Coast Libraries, with each winner receiving a $50 Fraser Coast Gift Card, redeemable at more than 200 local businesses and venues.

“This has been a wonderful way to celebrate local talent and connect people with their libraries in a new and creative way,” he said.

New library members will soon be able to choose from five winning designs or the official Fraser Coast Libraries branded card when signing up at branches in Hervey Bay, Maryborough, Tiaro, Howard and Burrum Heads.

YOUNG people in Hervey Bay now have access to a personalised and practical pathway to employment at no cost with the launch of STEPS’ Get Set for Work Program.

The program is designed for young people aged 15-19 who have left school or are struggling within the traditional system. Rather than a heavy focus on standardised testing or theoretical knowledge, participants learn through real world experiences, hands on activities, and coursework tailored to their individual interests and goals.

STEPS CEO Cassie Stanley said that the program has supported almost 100 young people, helping them transition into employment, return to school, or seek further training.

“We’ve seen firsthand how this program helps young people reconnect with learning, develop skills for the real world and develop confidence,” Ms Stanley said.

“This is what STEPS is all about; providing opportunity and supporting people in our community to recognise their potential and reach their goals.”

The program includes nationally recognised training (FSK20119 Certificate II in Skills for Work and Vocational Pathways)

alongside wraparound support such as transport and food assistance, offsite excursions, and employer engagement opportunities. STEPS’ Get Set for Work Program has already seen success in Bundaberg, Caloundra, and Gympie, helping young people develop their skills for the future and discover a renewed sense of direction.

Delivered by expert trainers who adapt lessons to suit different learning styles, Get Set for Work provides structure, support, and a safe space where young people feel seen and empowered.

The Hervey Bay expansion is part of a broader rollout, with Get Set for Work also launching in Townsville and

Maroochydore.

Get Set for Work is one of eight programs that make up the Queensland Government’s Skilling Queenslanders for Work initiative, which funds not for profit community based organisations to deliver projects that respond to the needs of local job seekers and employment opportunities in their area.

Applications are now open. To find out more or register your interest, visit the STEPS Get Set for Work webpage https://www.stepsgroup.com. au/course/get-set-for-work/ or call 1800 312 742.

This Skilling Queenslanders for Work project is proudly funded by the Queensland Government. RTO 1847.

Hervey Bay Travel & Transit Centre is excited to announce the launch of our escorted holidays departing from Hervey Bay in 2026.

• JAPAN IN SEPTEMBER

Experience magnificent autumn foliage, comfortable temperatures, and a rich blend of tradition and history.

• NORFOLK ISLAND IN THE SPRING

Enjoy ideal weather for exploring the natural beauty, the convict heritage, and a wonderfully relaxed pace of life.

If you’re interested in joining one of these tours, please contact us today - via phone or in person.

CLOSED

TEMPORARY ROAD CLOSURES

2025 Hervey Bay 100 ‘Hundy’ Triathlon Festival

The above event will take place on Saturday 15th and Sunday 16th November 2025, Scarness Park and the Esplanade, Hervey Bay. The following roads and car parking bays will be closed to facilitate the running of the event.

Thursday 13th November 3:00am to Monday 17th November 12:00pm

Scarness Park Car Park

Saturday 15th November from 5:15 am to 9:30 am Esplanade between Tavistock St, Torquay & Katandra Street, Pt Vernon

Sunday 16th November from 6:00 am to 11:30 am Esplanade between Tavistock St, Torquay & Katandra St, Pt Vernon

Throughout this time, vehicle movements will be restricted to Emergency Service Vehicles and event vehicles. The organisers of this triathlon event have Fraser Coast Regional Council & Police support & permits authorised by Queensland Police Service under Transport Operations (Road Use Management) Act 1995. Police officers, traffic controllers and marshals will be enforcing these road closures. We apologise for any inconvenience these temporary road closures may bring but we are sure you will agree that the safety of all residents, spectators, participants and personnel is paramount. For further information please contact Hervey Bay Triathlon Club at info@herveybaytriclub.org.au or visit www.hb100.com.au or call 0439 730 960 Proudly supported by

FRASER Coast residents are invited to a free seminar in Hervey Bay to learn practical ways to stay calm, focused and resilient in times of stress, disaster or crisis.

The event, Neuro-Resilience: Cognitive Tools in Disaster Recovery and Times of Crisis, will be held at The Clubhouse (Golf Club), Hervey Bay, from 10am to 1.30pm on Thursday 27 November 2025.

Fraser Coast Mayor George Seymour said the seminar was about giving people skills that can help in both everyday life and emergency situations.

“When disaster strikes, it’s not just our homes and streets that are under pressure – our minds are too,” Cr Seymour said.

“This seminar will give people simple tools to reduce stress, think clearly and make better decisions when it matters most.

“We know the Fraser Coast is exposed to extreme weather and other emergencies. By building individual resilience, we are building community resilience –and that benefits everyone.”

The session will be delivered by Dr Helena Popovic, an internationally recognised doctor, author and high-performance coach with more than 30 years of experience in brain science. Dr Popovic is known for her engaging,

down-to-earth style and practical, evidence-based advice.

Participants will walk away with tips to:

• build resilience and reduce stress

• improve memory, focus and decision-making

• stay mentally strong before, during and after disasters

The seminar is open to anyone aged over 15 and will be especially helpful for first responders, health workers, volunteers and community

members

a short break midway through the session.

The seminar is jointly funded by the Australian and Queensland Governments under the Disaster Recovery Funding Arrangements (DRFAS) and is delivered in partnership with Country to Coast Primary Health Network. Book online via Eventbrite: https://bit.ly/4pS5jSm

who want to be better prepared. A light lunch will be provided during

A SPLASH of bright blue has appeared along the Hervey Bay Esplanade — and it’s doing more than turning heads.

The newly painted Blue Tree stands as a powerful reminder to start conversations about mental health and check in with those around us.

The initiative was led by the Rotary Club of Hervey Bay Sunrise, inspired by the global Blue Tree Project, which began in Western Australia.

The movement started with a simple, yet profound act — painting a dead tree blue — and has since grown into a worldwide symbol of hope, connection, and mental health awareness.

The Rotary Club connected with Fraser Coast Mates, whose mission is to encourage open conversations and community support around

mental wellbeing, to bring the project to life locally.

Together, they approached Fraser Coast Regional Council, who enthusiastically supported the initiative by providing equipment, a truck, and team members to assist with the painting.

Heather Sugget from Rotary had a conversation with Mayor George Seymour that supported the idea. Local stores Crowies

Paints donated the blue paint and Bunnings supplied the painting equipment that staff from the Fraser Coast Regional Council were able to help with the difficult heights.

“The Blue Tree is a simple but powerful symbol,” says Heather.

President of Fraser Coast Mates, Darren Bosley, says the impact will be much more than the visual sight.

“It’s a reminder to have that

conversation, to ask a mate if they’re okay, and to know it’s okay to not be okay.”

Located on the Esplanade near the Hervey Bay Sailing Club, the tree has quickly become a talking point for locals and visitors alike.

The Rotary Club encourages everyone to visit, take a photo with the tree, and share it using #bluetreeproject to spread awareness even further.

The project reflects the Fraser Coast community’s united effort to promote mental health awareness and support.

In the words of the Blue Tree Project itself, “By spreading the paint, you help spread the message that it’s okay to have a blue day.”

For more information, visit www. bluetreeproject.com.au

Each Meal Sold Helps Us Continue to Ser ve Our Community Call our friendly team today!

OUTDOOR LIVING SPECIALISTS

THE QUEENSLAND Government is delivering on a key election commitment for new MRIs and CT scanners across the State, announcing a new MRI machine for Hervey Bay Hospital.

The commitment means magnetic resonance images (MRIs) will be taken on site at the Hervey Bay Hospital, allowing Hervey Bay locals to be diagnosed and treated faster than ever before, without having to travel or pay for a private scanning clinic.

The existing hospital pharmacy will be relocated and the current medical imaging area expanded to include the new machine, which will help diagnose a variety of conditions including tumours, infections, inflammation, organ diseases, and traumatic injuries.

Hervey Bay was identified as one of the most critical areas for the new equipment, and this investment will help meet growing demand.

The new technology is part of a $276 million investment, with six new MRI machines and nine CT scanners set to be

installed across Queensland.

The Hervey Bay community has been campaigning for the new MRI machine, with 6,782 people signing a petition for a machine to be delivered, supported by local MP David Lee for one of the State’s fastest growing regions.

After years of challenges in Queensland’s health system, Wide Bay locals are finally seeing long-overdue improvements — including the long-awaited arrival of an MRI machine for Hervey Bay and efforts to reduce ambulance ramping and surgery waitlists.

The investment is part of the Crisafulli Government’s fully funded Hospital Rescue Plan, with an expansion to Hervey Bay Hospital including 35 extra overnight beds, an inpatient unit, an Intensive Care Unit (ICU) and extra car parking set to be completed at the end of next year.

Premier David Crisafulli said the Government was delivering the fresh start Queenslanders voted for, exactly as promised.

“We are delivering health services when Queenslanders need them with the first

MRI machine at Hervey Bay Hospital,” Premier Crisafulli said.

“This is about listening to the Hervey Bay community and providing locals with easier access to health services where they live.

“While we are seeing elective surgery down and important progress on the Hospital Rescue Plan, there is much more to be done to restore health services when you need them, and we remain committed to delivering the fresh start we promised.”

Member for Hervey Bay David Lee said the Government has listened and is delivering for the people of Hervey Bay.

Mr Lee said for many years, Hervey Bay hadn’t received the level of attention or investment in health services it deserved.

“It’s critical the community have access to the right care when and where they need it and I’m proud that the Crisafulli Government will deliver the new MRI machine to support the people of Hervey Bay and the Wide Bay region.”

FRASER Coast free range

egg producers Brother Brother Organics have taken home one of Queensland’s most coveted agricultural honours, winning Champion Commercial Egg at this year’s Brisbane Exhibition (Ekka).

For co-owner Nick Kuhn, it was a proud moment and a first for the family run business.

“The Ekka is the biggest show in Queensland, and this year they split the competition into two parts, backyard producers and commercial suppliers,” he said.

“We entered the commercial section and came out with the champion ribbon, which was awesome.”

Judging is meticulous. Each entrant must submit twelve eggs identical in size, shape, and colour, with shells free from any imperfections.

“They also test shell strength, then crack them open to look for bright, rich yolks and freshness,”

Nick explained.

“A fresh egg has tight whites that stay close to the yolk. An old one just runs flat across the pan.”

Nick said the win reflected the farms commitment to ethical and sustainable production.

“Our chickens are genuinely free range, not just by name. They eat fresh grass shoots, bugs, worms, and beetles, and they get plenty of sunlight. That natural diet gives our eggs that bright orange yolk people love.”

Brother Brother Organics supplies a number of retail outlets across Hervey Bay and sells directly through the Hervey Bay and Maryborough markets, where they move close to 1,000 dozen eggs each week.

“The markets are by far our biggest outlet. We sell about 600 dozen at the Pier Markets and another 400 dozen in Maryborough.” Local Hervey Bay cafes are also

proudly serving their produce, including The Spotted Goat, Pier Village Café, Seabreeze, and Diorama Café.

While the ribbon is a big win, Nick said the real reward is community support.

“We have amazing customers, people who appreciate where their food comes from. This win is not just for us, it’s for everyone who backs local farming.”

FRASER Coast residents are reminded that extra Qantas and Jetstar flights have now commenced, making it easier for residents and visitors to connect with both domestic and international markets via Brisbane.

Fraser Coast Mayor George Seymour said the additional services between Hervey Bay, Brisbane, Melbourne and Sydney would make travel to and from the region easier than ever as people start planning their Christmas holidays.

“From this week, Qantas will reinstate early morning and evening flights between Hervey Bay and Brisbane, while Jetstar will increase the number of flights connecting Hervey Bay with Melbourne and Sydney,” Cr Seymour said.

“It’s fantastic for our region as these services not only increase connectivity but offer greater convenience for business travellers who need same-day return trips to Brisbane.

“I encourage everyone to support these improved services - it’s a boost for tourism, business and the local economy, and a clear sign of growing confidence in the Fraser Coast.”

The Qantas flights will depart Brisbane for Hervey Bay at 6:10 pm on Wednesday, Thursday and Friday, with return services at 6:30 am every Thursday, Friday and Saturday. The trial will run through to the end of March 2026.

Cr Seymour said the return of early morning and evening flights between Hervey Bay and Brisbane will make it easier for locals and visitors to travel, do business and experience everything the idyllic Fraser Coast has to offer.

“Jetstar’s increased capacity also starts this week, marking 16 months since its Hervey Bay – Melbourne route first launched and bringing more than 67,000 visitors to our

region during that time,” he said.

“From this week, flights to Melbourne will increase from three to four return services a week, and flights to Sydney will rise to daily services from December.

“The extra flights will add more than 38,000 low-fare seats each year, making it easier than ever for people to experience the stunning Fraser Coast.”

Council and Fraser Coast

Tourism and Events will continue to work closely with both Jetstar and Qantas to grow air connectivity and support tourism and business opportunities across the region.

Top 3 recycling mistakes

how to fix them!

IN OUR pursuit of health and wellness, we often focus on the physical aspects— clean food, enough sleep, movement, hydration, and moderation in alcohol and narcotics.

While these are vital, true well-being extends beyond the physical.

A critical but often overlooked barrier to health is the baggage we carry—the labels, expectations, and societal pressures that shape our identity and influence our mental state.

Many individuals struggle with layered illusions of who they should be, trying to fit into boxes dictated by society, family, or their own selfimposed standards.

These layers can obscure our authentic self and create internal conflict, leading to emotional and mental distress.

The relentless search for belonging and validation often results in self-sabotage, as we chase ideals that may be unattainable or misaligned with who we truly are.

This internal turmoil impacts

our health profoundly.

Stress, anxiety, and unresolved emotional wounds can manifest physically, causing illness or worsening existing conditions.

Thus, unaddressed emotional baggage is just as damaging as neglecting diet or exercise.

The path to genuine health involves unmasking these layers—peeling back societal labels, self-doubt, and emotional barriers.

It’s about embracing vulnerability, reflecting inward, and reconnecting with our true selves.

Only then can we release the false identities that hinder our

growth and happiness.

This journey must happen in a safe space—where timing, patience, and support are essential.

Growth, change, and forgiveness are challenging; they can hurt, cause discomfort, and sometimes ripple into other areas of our lives.

But despite the pain, this transformation is necessary, freeing, and ultimately beautiful.

When we free ourselves from the masks and layers, we open the door to holistic health—a state of being well, balanced, and true to ourselves.

In doing so, we not only improve our physical health but also nurture our mental and emotional well-being. Because at the core of wellness lies the truth: health is not just the absence of illness, but the harmony of mind, body, and spirit.

1. Bottle lids - jam machinery and become dangerous projectiles during processing.

Please remove lids before recycling.

If you collect milk bottle lids - drop them o at Nikenbah or Maryborough waste facilities for recycling.

2. So plastics - like bread bags and cling wrap tangle sorting machines and contaminate good recycling.

Do the scrunch test. If it scrunches and stays scrunched, put it in the general waste - or better yet, try to avoid plastic packaging.

3. Rigid plastics - like coat hangers, plant pots and kids toys can’t be recycled in your yellow lid bin.

Donate if in good condition, or take to your local waste facility.

frasercoast.qld.gov.au/recycling

Healthcare in 2050 on Fraser Coast: A Glimpse into the Future

When we speak of the Fraser Coast in 2050, we aren’t just discussing numbers or statistics, we are talking about our families, our neighbours, our friends, and our broader community. The region is projected to reach a population of 150,000, which is substantial growth, but the real signifcance lies in how our healthcare system will adapt to keep everyone healthy, happy, and connected as our community ages.

The main question we face is: what do we want healthcare to look like in 25 years ? The choices we make today will determine whether we’re reacting to problems or shaping a system that truly serves our needs.

Starting With Our Region Fraser Coast is unique compared to larger centres

Our vision for 2050 isn’t just about high-tech hospitals; it’s about practical solutions suited to our region, care close to home, stable medical professionals who understand our community, and technology that bridges distances, allowing people from Maryborough, Howard, Burrum Heads,

study, train, and work locally.

This approach isn’t just about sta ng; it’s about fostering professionals who know the community intimately. When our healthcare workers understand our lifestyle and culture, they can provide more personal and e ective care. The aging population, once seen as a challenge, becomes a valuable context for training future generations in managing chronic disease and aged care.

Distance No Longer a Barrier

Many residents know the frustration of travelling to Brisbane for quick appointments. By 2050, this should be a thing of the past. Telehealth already shows promise, but the future will make it standard practice. Imagine talking to a cardiologist or dermatologist from your own living room. Wearable devices will play a key role, tiny

alerted and can intervene before issues escalate. For those with chronic conditions, this means fewer emergencies and greater peace of mind. Mobile clinics and drone-delivered medications will further

Technology and Artificial Intelligence

Technology will be a major part of healthcare by 2050, though perhaps not as dramatic as science fiction might suggest. Artificial intelligence could instantly analyse skin conditions, while robotic surgery might allow experts to operate from afar. 3D bioprinters could produce custom joints or organs, and genomics will enable treatments tailored to everyone.

Despite these advances, technology will support, not replace, health professionals. Machines will handle routine tasks like administration and data analysis, freeing doctors and nurses to spend more time with patients, listening and caring.

Prevention Becomes Everyday Care

A key shift will be toward prevention instead of reaction. By 2050, most people will likely use wearables that monitor their health daily. That data will inform medical records, giving a clearer picture of overall wellbeing.

Green, Sustainable Healthcare Healthcare’s impact on the environment will be front and centre by 2050. Hospitals and clinics will run sustainably, using solar power, digital systems, and minimising waste. This benefits both the planet and the

Wearable devices will play a key role, tiny sensors tracking blood pressure, heart rhythm, or blood sugar. If anything seems wrong, your GP is alerted and can intervene before issues escalate.

Mental Health Front and Centre Mental health can’t be overlooked. The e ects of stress, depression, and anxiety are felt throughout the community. By 2050, mental health care should be as routine and accessible as physical health care.

This means GPs, schools, workplaces, and community groups all play a role. Online counselling, AI screening tools, and stigma-reducing community education will help, making it easier for people to seek help.

The Real Question: What Do We Want?

Ultimately, the future is unwritten. While we can imagine advanced technology and new approaches, the real future for Fraser Coast healthcare depends on our choices now, training local professionals, investing in technology, and improving access.

For a region with high chronic illness rates, this is transformative. Health teams will work proactively, helping people stay well and out of hospital.

budget, allowing more resources to be directed to patient care. Telehealth also plays a part in sustainability, reducing the need for travel. As a community that values nature, it’s fitting that healthcare would contribute to environmental care.

If we want a 2050 where people enjoy longer, healthier lives in Fraser Coast, planning must begin now. Healthcare may never be perfect, but it can become smarter, fairer, and more connected. In the end, the future of healthcare is about people, our people, and the kind of community we want to build together.

DR NICK YIM President AMA Queensland

THE FRASER Coast rolled out the red-carpet for the Fraser Shorts Film Festival, an inspiring four-day celebration of storytelling, creativity, and community.

Presented by Screen Fraser Coast, the festival brought filmmakers, film lovers, and industry guests together for a dynamic program of short film screenings, workshops, and special events across Hervey Bay and Maryborough.

Audiences were treated to an impressive lineup of local and national films, from heartfelt dramas and powerful documentaries to clever comedies and imaginative animations, all showcasing the talent and creativity thriving within the region.

The event highlighted the growing strength of the Fraser Coast’s creative community.

It’s been amazing to see how the festival has brought people together; the quality of storytelling just gets stronger.

There’s so much talent here, and it’s exciting to see filmmakers of all ages finding their voice and sharing their stories.

A standout of this year’s program was the special screening of Is This Forever, an award-winning film by guest filmmaker Charlie Di Stefano.

The film, inspired by Di Stefano’s personal experience

of loss, moved audiences with its raw honesty and emotional depth.

Charlie Di Stefano and Bob Davis from Operation Hard Yakka also took part in a Q&A. We also held film industry panel discussion, sharing valuable insights into the filmmaking process and the power of storytelling to connect people.

The Awards Night wrapped up the festival with plenty of celebration and applause.

Guests enjoyed a two-course dinner, live entertainment from The Duo and comedian Tracy Harvey, and the presentation of awards recognising excellence and emerging talent in filmmaking. Winners are published on the website frasershorts.com. au.

We’re building a strong screen culture here.

Events like Fraser Shorts create opportunities, inspire collaboration, and showcase the incredible talent that calls this region home.

Through initiatives like the Fraser Shorts Film Festival, Screen Fraser Coast continues to nurture and connect the local screen community, supporting filmmakers to share their stories with the world.

FORMER Queensland State of Origin and Australian Kangaroos rugby league star

David Shillington, now a leading mental health educator, will deliver two free resilience and wellbeing workshops for Fraser Coast business managers next month.

The Business Managers Program – Be Buoyant will be held in Hervey Bay on Monday 10 November at 65 Main Street, Pialba and in Maryborough on Tuesday 11 November at the Brolga Theatre. Each session runs from 9.30am to 4.30pm.

Fraser Coast Regional Council Economic Development spokesperson Cr Daniel Sanderson said the workshop was part of Council’s Jobs Ready initiative to strengthen local small businesses.

“It’s not every day you get to learn leadership and resilience strategies from someone who has represented Queensland and Australia at the highest level,” Cr Sanderson said.

“David Shillington combines elite sporting experience with a passion for mental health education. This program will give our business managers practical tools to support their teams, reduce stress and build stronger, more positive workplaces.”

After retiring from a 16-year NRL career, Mr Shillington became a Master Principal Instructor in Mental Health First Aid and has trained workplaces across Australia.

His ‘Be Buoyant’ program focuses on psychosocial safety and equips leaders with strategies in communication, conflict resolution, resilience, and wellbeing.

For updates on upcoming events, visit www. screenfrasercoast.com.au or follow Screen Fraser Coast on social media. There are

• Supporting mental health in the workplace

• Health and wellbeing strategies for busy schedules

• Conflict resolution and communication

• Managing stress and fatigue

• Resilience strategies (movement, sleep, diet)

• Behaviour and team management

• Leadership training

The two workshops are free for Fraser Coast small businesses, with lunch and afternoon tea included. Places are limited to one ticket per business, and an ABN is required at registration.

https:// www.eventbrite.com.au/e/ business-managers-programbe-buoyant-hervey-baytickets-1752291132949

- https:// www.eventbrite.com.au/e/ business-managers-programbe-buoyant-maryboroughtickets-1752312286219

The Jobs Ready Program is run by the Fraser Coast Regional Council and funded by the Australian Government Department of Social Services.

Got a great story to tell ? - We want to hear it. We are always on the lookout for inspiring, interesting and important local stories; and yours might be next. It might be a coming event, a special milestone, or someone achieving something truly worth celebrating, we are here to help spread the word. Because real stories from real people are what make our community, and our newspaper, so specialLet’s tell your story together. email us on edit@herveybayadvertiser.com.au or message us on Facebook

Essence 64 model shown

• EV Range 350km‡

• 0-100km/hr in 7.7s

• EV Range 350km‡

• EV Range 350km‡

• Rear Wheel Drive (RWD)

• 0-100km/hr in 7.7s

• 0-100km/hr in 7.7s

• Led DRL Headlights & Taillights

• Rear Wheel Drive (RWD)

• 7-inch Instrument Cluster

• Led DRL Headlights & Taillights

• Rear Wheel Drive (RWD)

• 7-inch Instrument Cluster

• 10.25-inch infotainment system

• Led DRL Headlights & Taillights

• 10.25-inch infotainment system

• iSMART Lite #

• 7-inch Instrument Cluster

• iSMART Lite #

• 10.25 -inch infotainment system

• Apple Carplay & Android Auto

• Apple Carplay & Android Auto

• iSMART Lite #

• Electronic Parking Brake

• Electronic Parking Brake

• Auto Start/Stop & Keyless Entry

• Apple Carplay & Android Auto

• Electric Outside Mirror with Heating Function

• Auto Start/Stop & Keyless Entry

• Electronic Parking Brake

• Reverse Camera

• Electric Outside Mirror with Heating Function

• Auto Start/Stop & Keyless Entry

• Driver's 6-way Manual Adjustable Seat

• Reverse Camera

• Driver's 6-way Manual Adjustable Seat

• Electric Outside Mirror with Heating Function

• 60/40 Split Folding Seats

• Reverse Camera

• MG Pilot - 9 Safety features~

• 60/40 Split Folding Seats

• Vehicle to Load Functionality (V2L)

• MG Pilot - 9 Safety features~

• Driver's 6-way Manual Adjustable Seat

• 500KG Towing Capability

• Vehicle to Load Functionality (V2L)

• 60/40 Split Folding Seats

• MG Pilot - 9 Safety features~

• 17” Alloy wheels with Aero Cover

• 500KG Towing Capability

• 17” Alloy wheels with Aero Cover

• Vehicle to Load Functionality (V2L)

• 500KG Towing Capability

FEATURES: FROM $41,165* MRDP

• 17” Alloy wheels with Aero Cover MY23

FROM $41,165* MRDP

FEATURES: FROM $41,165* MRDP

Essence 64 model shown
Essence 64 model shown

FRASER Coast Motor Centre has officially welcomed Port City Auto into its family, marking the start of a new chapter for the region’s motoring community.

The dealerships will now operate as Hervey Bay Auto Group, bringing together two locally established businesses that share a passion for people, service and community.

Dealer Principal Daniel Foley said the acquisition is the result of a shared vision to deliver a stronger, more connected experience for drivers across the Wide Bay. Both businesses, he explained, have grown from the same philosophy: that genuine care and good relationships are the foundation of long-term success.

“This is a really proud moment for our team and our community,” Mr Foley said.

“Both Fraser Coast Motor Centre and Port City Auto have deep roots here. By joining forces, we can take everything people already love about these businesses and build something even stronger.”

The move will see significant investment in the site, technology and staff development as the business transitions into Hervey Bay Auto Group. The goal, according to Mr Foley, is not only to modernise operations but to set a new benchmark for the customer experience.

Customers can expect to notice the difference as soon as they visit.

From upgraded facilities to better service systems, every improvement is designed to make things easier and more enjoyable.

“Our focus is on genuine care, transparency and the kind of service that feels personal, not transactional,” Mr Foley said.

“We want people to feel at home here, confident that they are being looked after by people who genuinely care.”

While the structure may be changing, the team behind the name remains the same. Many longterm staff from Port City Auto are

continuing on with Hervey Bay Auto Group, ensuring customers will still be greeted by familiar faces.

“Our people are the heart of this business,” Mr Foley said.

“They know the community, they know our customers and they’re passionate about what they do. This transition gives them more support, more tools and more opportunities to deliver the best possible experience for every person who walks through our doors.”

Hervey Bay Auto Group is part of the growing Fraser Coast Motor Centre team, a proud member of the Pickering Group of Companies, combining local expertise with the strength of a larger automotive group. Mr Foley said the aim is to provide the best of both worlds: a dealership that feels proudly local but has the resources to offer more choice and value than ever before.

“This is an investment in the region and in the people who live here.

“We’re here for the community and we’re here for the long term. This is just the beginning of something special for Hervey Bay.”

This acquisition brings together two long-established automotive names on the Fraser Coast, creating one of the region’s largest locally operated dealership groups. For many in the community, it’s a sign of confidence in the region’s future and the people who continue to drive it forward.

The newly named Hervey Bay Auto Group is now part of a growing network under the Fraser Coast Motor Centre banner, combining local expertise with the strength of a larger automotive group.

Mr Foley said the aim is to provide the best of both worlds: a dealership that feels proudly local but has the resources to offer more choice and value than ever before. As for Maryborough, we still have and will remain to have a strong presence there and will continue to service and welcome new owners to use us.

For more information, visit: www. herveybayautogroup.com.au

ROLLER SHUTTERS FABRIC AWNINGS

Display Home of the Year.

We’ve helped hundreds of people across the Wide Bay region bring their dream homes to life. As a trusted local builder, we understand the area, the lifestyle, and what makes a house feel like home. Whether you’re building your first home, growing your family, investing, or looking to downsize — we’re here to help you get it right.

Visit our award-winning Hervey Bay Display Home, recently named HIA Display Home of the Year (Sunshine Coast/Wide Bay), at The Springs Estate, Nikenbah. Or make a day of it and explore our Bundaberg Display Home — just 90 minutes away.

Two homes. Endless inspiration. Come and see what’s possible with us.

KERRY CAMPBELL HOMES

Kerry Campbell Homes are Hervey Bay’s house & land specialists. Servicing the region for more than 25 years. Building quality, a ordable homes to suit any budget.

Step into your dream home with a ordable, all inclusive packages. Whether you’re first home buyer, growing family or savvy investor – we’ve got the perfect package for you.

3 & 4 Bedroom options under construction

your

3 & 4 brm options, ens, WIR, sep lounge, DLUG, air conditioning, fully fenced, dishwasher + more DELUXE

4 brm , ens, WIR, sep lounge, DLUG, air conditioning, fully fenced, dishwasher + more upgrades EXECUTIVE

4 BRM, stone kitchen bench top, ens, WIR, sep lounge, DLUG, air conditioning, fully fenced, dishwasher and even more upgrades.

View Saturday 1st November - 10.30-11.00 am Saturday 8th November - 9.00-9.30 am

Auction 4th December - at 7.00 pm - In Rooms Web rh.com.au/herveybay/L32081820

114 Elizabeth Street, Urangan

Rare Dual Living in the Heart of Urangan

Looking to get ahead with additional income, then this dual living home is for you, featuring two fully self-contained levels each with its own private entrance and separate parking.

Offering space, style and comfort the lower level consists of an open plan bedroom and lounge, full kitchen with oven and stove top, modern private bathroom with bath plus the convenience of specific external access and separate parking. Ideal for guests, Airbnb, extended family or private rental.

Fully refurbished, the upper section of this split-level home welcomes with warmth, light and space, greeting with polished timber floorboards, raked ceilings and contemporary finishes throughout. There are three spacious bedrooms, refurbished bathroom, modern, new split system air conditioning, plus new light fixtures and fans plus a large rear deck overlooking a leafy private back garden.

Outdoor features include electric gate for privacy and security, 5Kw solar system, ample parking, variety of fruit trees, room for a pool and private front porch. Location is ideal being close to all that Hervey Bay has to offer, walk to the Shopping Centre, medical clinic, child care and cafes, only minutes to the Marina, Boat Club, beaches, schools and airport.

This property is move-in ready do not miss opportunity call today to inspect at a time of your convenience.

Hervey Bay 4128 2188

357 Esplanade, Scarness rh.com.au/herveybay

View Saturday 1st November - 12.45-1.15 pm Saturday 8th November - 1.30-2.00 pm

Auction Forthcoming Web rh.com.au/herveybay/L36547079

2 Senor Avenue, Urangan

Grand Family Home

This 1,200m² property is in the final stages of subdivision, ready to create two 600m² lots. Enjoy the existing spacious family home while exploring the potential to develop or sell the second lot. A rare opportunity to secure both lifestyle and future investment in one address.

The two-storey Tudor-style home blends timeless character with modern upgrades, delivering both presence and practicality. With 2.7m ceilings in key areas, the interiors feel generous and inviting, while the refurbished design ensures immediate comfort.

At the heart of the home is a huge kitchen, finished with high-quality wooden cabinetry that combines durability with a classic look. Multiple living zones flow across both levels, supported by three well-appointed bathrooms that make family living effortless.

Outside, dual street access leads to a massive shed with a carport out front, giving trades, hobbyists or collectors all the room they need.

Although updated, the property still offers plenty of opportunity to shape it to your taste. With abundant space to work with and a style that stands apart from its neighbours, this is a home with real individuality and lasting appeal.

Call now to arrange an inspection.

Hervey Bay 4128 2188

357 Esplanade, Scarness rh.com.au/herveybay

View By Appointment

Price $825,000

Web

2 Parkview Street, Wondunna

Quality, Comfort and Location in Perfect Harmony

You’ll be welcomed into a home where natural light fills every corner, enhancing the fresh, modern feel throughout. The open plan layout connects the living, dining and kitchen areas seamlessly, creating an inviting space perfect for both relaxing and entertaining. With sleek tiled floors, air conditioning in the main living area and a modern kitchen designed for functionality, this home combines comfort and style with ease. Each room is well proportioned, offering plenty of space for the family to spread out. The covered outdoor entertaining area is ideal for weekend barbecues or simply unwinding after a long day, while the generous side access provides room for a boat, caravan or trailer. A low maintenance yard completes the picture, allowing you to enjoy everything the Hervey Bay lifestyle has to offer.

34 Moonstone Drive, Urangan

View Saturday 1st November - 1.30-2.00 pm

Price $858,000

Web rh.com.au/hervey bay/L35004333 2 6 4

Saturday 8th November - 12.45-1.15 pm

Hervey Bay 4128 2188

357 Esplanade, Scarness rh.com.au/herveybay

Well-Presented Home with Impressive Shed and Side Access

Set in a quiet neighbourhood just moments from shops, schools and parks, this home offers practical features, generous storage and everyday comfort. Inside, you’ll find four well sized bedrooms, three with built-in robes and the main with a walk-in robe, ensuite and air conditioning. There’s a separate lounge or media room, along with an air-conditioned open plan living and dining space that connects to a covered outdoor entertaining area. The kitchen includes great storage and convenient internal access to the double garage. Outdoors is where this property really shines, featuring a large shed with street access, a tall carport perfect for a boat or van, solar power and low maintenance gardens.

10/178 Torquay Road, Scarness

Spacious Townhouse - Walk to Beach

This stylish Townhouse offers a perfect mix of comfort and convenience. Featuring three spacious bedrooms with built-in robes, a well appointed main bathroom upstairs, plus a toilet and vanity downstairs, the layout is designed for easy living. The air conditioned open plan lounge and dining area flows to a private alfresco space, ideal for entertaining or relaxing outdoors. A secure garage with internal access adds everyday practicality. This is a rare find and is sure to a ract a lot of interest.

View Saturday 1st November - 10.30-11.00 am

Saturday 8th November - 10.30-11.00 am

Price $640,000

Web rh.com.au/hervey bay/L35574429

2 2 3

View Saturday 1st November - 11.15-11.45 am

Saturday 8th November - 12.45-1.15 pm

Price On Application

Web rh.com.au/hervey bay/L31178042

48 Green Acres Road, Dundowran

Two Houses on Acreage Equals the Ultimate Family Estate

Set on 5 acres, this property blends comfort and versatility. The accessible main home features three bedrooms, two bathrooms, multiple living zones and great outdoor entertaining spaces including a pool with its own kitchen. A separate two-room dwelling offers guest or Airbnb potential. Two large sheds, landscaped grounds, chicken coops and peaceful ponds complete this family friendly property, close to schools and shops ideal for larger families or dual occupancy. 3

View By Appointment

Price Contact Agent Web rh.com.au/hervey bay/L29269419

4/15 Shell Street, Urangan

Safe

and Secure by the Beach

Discover luxurious lakeside living at Villa 4 in the tranquil Fauna Lakes, Stage 2 Complex. This master-built 3-bedroom, 2-bathroom villa by Ron Brown Homes combines elegant design with modern comfort. A spacious media room provides the perfect place to unwind, while the designer kitchen with stone benchtops and built-in appliances flows seamlessly into the open plan dining and entertaining area. The main bedroom offers stunning lake views, an ensuite with double vanity and plantation shu ers for added privacy. Step outside to the alfresco area to enjoy breathtaking sunrises and sunsets over the lake. Perfectly positioned in sought-after Urangan, this villa is within walking distance of The Esplanade, restaurants, cafés, local markets and the iconic Urangan Pier. Move-in ready and simply beautiful.

Hervey Bay 4128 2188

357 Esplanade, Scarness rh.com.au/herveybay

View Saturday 1st November - 12.45-1.15 pm

Saturday 8th November - 11.15-11.45 am

Price $978,000

Web rh.com.au/hervey bay/L35461685

Hervey Bay 4128 2188

357 Esplanade, Scarness rh.com.au/herveybay

4/3-15 Shell Street, Urangan

Walk to Cafes - Living the Dream

Dreaming of low maintenance, lakeside living in beautiful Hervey Bay, then this is the property for you. Fauna Lakes Stage 1 is a secure gated complex of just 18 homes ideally located close to the beach, the Botanic Gardens, shops, schools, cafes and fine dining. This quality home, built by Ron Brown Homes, features three air-conditioned bedrooms, two bathrooms, open plan living/dining, kitchen with stone bench tops and quality appliances and a double garage. The home has been beautifully finished with solar panels and plantation shu ers throughout. The cantilevered deck overlooking the lake, which is teeming with birdlife and friendly turtles, is the perfect spot for your morning coffee or sundowner drinks. The owner is commi ed elsewhere is serious about selling so a end an open home or call today to arrange a private inspection.

587 Esplanade, Urangan

Build your dream home on this rare 843m² (approx) Esplanade block in sought after Urangan. Enjoy stunning water views, direct beach access and endless outdoor activities at your doorstep. This tranquil, tree lined se ing offers the perfect backdrop for a bespoke architectural retreat. With shops, cafés and amenities nearby, it’s the ideal blend of nature and convenience. A true slice of coastal paradise plus, the neighbouring block is also available for an even greater opportunity.

View By Appointment

Price $1,050,000

Web rh.com.au/hervey bay/L31723575

588 Esplanade, Urangan

Seize the opportunity to build your dream home on this stunning 1000m² (approx) waterfront block at 588 Esplanade, Urangan. Just steps from a pristine swimming beach, this lush, tree lined property offers a serene coastal lifestyle with unbeatable views. Surrounded by nature yet close to shops and cafes, it’s the perfect blend of peace and convenience. Let your vision come to life plus, the neighbouring block is also available. A rare coastal gem!

View By Appointment

Price $1,350,000

Web rh.com.au/hervey bay/L31725329

5/85 Miller Street, Urangan

Walk to the Marina

Ideally situated near the Marina, shops, schools and public transport, this renovated unit is perfect for investors, downsizers or first home buyers. It features two bedrooms, a bathroom with bath and separate shower, laundry and a bright kitchen with ample storage. The open plan lounge and dining area has cathedral ceilings and opens to a private courtyard. The unit includes a carport with undercover access and sits in a quiet, well-maintained complex of twelve.

View Saturday 1st November - 1.30-2.00 pm

Saturday 8th November - 12.45-1.15 pm

Price $510,000

Web rh.com.au/hervey bay/L34979847

28 Harrison Circuit, Urangan

This stylish family home on a 791sqm corner block blends modern design with relaxed living. Featuring four bedrooms, including a master with walk-in robe and ensuite, plus two bathrooms, it offers space for the whole family. The open plan kitchen, dining and living areas flow to a sparkling pool and landscaped backyard, perfect for entertaining. Solar panels add efficiency, while the Urangan location places shops, schools, the marina and beaches just moments away.

View Saturday 1st November - 9.00-9.30 am Saturday 8th November - 1.30-2.00 pm

Price $1,200,000

Web rh.com.au/hervey bay/L32867303 2 2 4

4 Auction Thursday 30/10

14 Kingston Court, Point Vernon

Nestled in Point Vernon, this stylish 4-bedroom, 2-bathroom home offers modern comfort with tranquil lake views. The main bedroom features an ensuite, while a separate lounge adds flexibility. At the heart of the home, open plan living connects the kitchen, dining and lounge, flowing to the alfresco entertaining area, ideal for gatherings. Large windows enhance natural light, while the 847sqm block is fully fenced with excellent side access, creating a perfect blend of lifestyle and convenience.

View By Appointment

Auction 30th October - at 7.00 pm - In Rooms Web rh.com.au/hervey bay/L36568885

1737 Torbanlea Pialba Road, Burgowan

Stunning Rural Retreat with Dual Living - Your 7.46 Hectare Dream Home Awaits

Set on 18.5 acres, this property offers privacy, rolling lawns, a tree-lined driveway and two dams. The main home features raked timber ceilings, a wood heater, a country kitchen, period bathroom and three bedrooms with open plan living. There’s a separate studio with kitchene e and modern bath, plus a shared undercover entertaining area. Extras include seven shed bays, several outbuildings, four water tanks (100,000L), solar power and hot water, irrigation, paddocks and dual street access.

View By Appointment

Price $1,150,000 Web rh.com.au/hervey bay/L34553159

35 Galatea Street, Point Vernon

View Saturday 1st November - 11.15-11.45 am

Saturday 8th November - 9.00-9.30 am

Auction 30th October 2025 - at 7.00 pm - In Rooms

Web rh.com.au/hervey bay/L1070862 2 2 3

Charming Family Home in Point Vernon

Hervey Bay 4128 2188 357 Esplanade, Scarness rh.com.au/herveybay

This delightful family home perfectly blends comfort, style and functionality. Nestled on a generous 864 sqm block, it offers ample space for relaxed indoor and outdoor living. Inside, three spacious bedrooms and two modern bathrooms provide comfort and convenience for the whole family. The inviting open plan living and dining area enhances the sense of space, flowing seamlessly to a charming outdoor patio, ideal for entertaining or unwinding. A double garage and excellent side access offer secure parking and extra storage options. The beautifully landscaped backyard creates a private retreat perfect for family living. Located in a peaceful neighbourhood, this home is close to local amenities, parks and the stunning coastline. A fantastic opportunity in sought-after Point Vernon.

Auction Thursday 30/10

12/4 Pilot Street, Urangan

Prime Urangan Unit

This beautifully refurbished two-bedroom Townhouse offers relaxed coastal living, just 200 metres from the iconic Urangan Pier and beach. Light-filled and open plan, the air-conditioned living, dining and kitchen area flows seamlessly to a private balcony, the perfect spot for morning coffee or evening drinks. Downstairs, a private paved courtyard offers additional space for entertaining. The home is offered fully furnished and features internal laundry, a single lock-up garage with internal access and access to a sparkling in-ground pool shared by the complex.

View Saturday 1st November - 11.15-11.45 am

Saturday 8th November - 10.30-11.00 am

Auction 30th October 2025 - at 7.00 pm - In Rooms Web rh.com.au/hervey bay/L36637353

View By Appointment

Auction 30th October 2025 - at 7.00 pm - In Rooms Web rh.com.au/hervey bay/L37099023

97 Snapper Street, Kawungan

This One Ticks All The Boxes

Hervey Bay 4128 2188

357 Esplanade, Scarness rh.com.au/herveybay

Auction Thursday 30/10

This inviting home combines modern comfort with relaxed coastal living. The converted garage creates a welcoming si ing room, while the renovated kitchen flows seamlessly into the lounge and front entertaining deck. Three bedrooms include a main with built-in storage and air conditioning, and the modern bathroom features quality fixtures and temperature control. Carpeted interiors add warmth, while the tranquil backyard and generous entertaining space are perfect for gatherings. A double garage and driveway provide ample parking and storage.

View Saturday 1st November - 9.45-10.15 am

Saturday 8th November - 11.15-11.45 am

Auction 30th October 2025 - at 7.00 pm - In Rooms Web rh.com.au/hervey bay/L35988553

Auction Thursday 30/10

13 Zac Court, Urraween

Modern Family Living

This home offers the perfect blend of comfort, practicality and convenience. Ideally positioned just minutes from the hospital precinct, Stockland Shopping Centre, schools and the CBD, it’s perfectly suited for families, downsizers, or investors. The home features four bedrooms, including a master with ensuite and walk-in robe, multiple living areas and a modern kitchen with direct access to a covered outdoor patio. Enjoy relaxed entertaining overlooking the fully fenced yard, ideal for kids and pets. Additional features include air conditioning, security screens throughout, a water tank and a double remote garage with internal access. Homes of this quality in such a sought-after location don’t last long.

Commercial Division

Raine Horne Hervey Bay T: 07 4128 2188

E: sales.admin@herveybay.rh.com.au

3/65 Torquay Road, Pialba

Prime office space in Hervey Bay CBD

161m2 For Lease

This modern property boasts a generous kitchen with a building area of 161sqm, perfect for a variety of office uses. This property presents a fantastic opportunity for businesses looking for a professional and stylish office space. Don’t miss out on this rare find in the heart of Pialba. Contact us today to arrange a viewing!

1/17 Liuzzi Street, Pialba

Quality Commercial Opportunity in Superb Location

This prime commercial space in the heart of Pialba’s CBD. Positioned at the front of a busy business complex, it features a reception area, private meeting room, second room with workshop, kitchene e and bathrooms on the ground floor. Upstairs, the mezzanine level provides three separate office spaces. With great exposure, a flexible layout and a central location, this is a fantastic opportunity for businesses looking to establish or expand in a thriving area.

View By Appointment

Price Contact Office Web rh.com.au/hervey bay/L34752847

View By Appointment

Price Contact Office Web rh.com.au/hervey bay/L28068525

Hervey Bay 4128 2188 357 Esplanade, Scarness rh.com.au/herveybay

12 Toogoom Cane Road, Takura

Scarness Foodstore Ice Creamery

458m2 For Sale

48Ha of land STCA (subject to council approval) many opportunities can arise from a block of land this size.

• Are you in the building industry? Are you looking for domestic or commercial fill?

• Are you looking for a block of land to support your building or construction company?

• Are you a developer? Can you see any opportunity for this land either now or in the future?

This is a true opportunity, contact our office today and make an offer.

View By Appointment

Price Contact Office Web rh.com.au/hervey bay/L31252702 For Sale

Prime Esplanade Location

Impeccably positioned along the iconic Esplanade in the busy Scarness suburb, just steps from the beach, caravan park and holiday accommodation. This well-established business enjoys constant foot traffic from locals and tourists all year round. Fully fi ed out as both a convenience store and ice creamery, however you have the opportunity to expand sales in various directions. You can walk in and start trading from day one as it is ready for a smooth takeover to continue to build a successful business that can cater to your lifestyle.

View By Appointment

Price $165,000 + GST + SAV Web rh.com.au/hervey bay/L22804088

220m2 For Sale

15 SANDY VIEW DRIVE
NIKENBAH
AMANDA CARTER
4 SEAGULL CIRCUIT POINT VERNON

Sophisticated Design, Endless Views

22 PARVIEW DRIVE CRAIGNISH
36 SAINT JOSEPH DRIVE URRAWEEN

16 LAYDE COURT
URANGAN
PRINCE STREET
URANGAN
Modern Living At Its Best
69 JANNIK TERRACE PIALBA
185 ESPLANADE POINT VERNON

25 BOWARRADY COURT RIVER HEADS
Escape With

OFFERS OVER $1,350,000 1 CATALINA COURT, BOORAL

LUXURY COASTAL LIVING MEETS RESORTSTYLE ELEGANCE

Discover a residence that lives like a private resort, where refined family living meets the coastal rhythm. Minutes to River Heads and the gateway to K’gari, it embodies Hervey Bay luxury. A grand entry, high ceilings and light-filled open-plan zones showcase plantation shutters and premium finishes. The gourmet kitchen features an island, electric oven, cooktop, dishwasher and butler’s pantry. Enjoy a separate media room and study nook. Outdoors, a year-round entertaining terrace overlooks the solarheated magnesium pool with ceiling fans and wind-down blinds. Tranquil landscaped gardens frame Great Sandy Straits glimpses. On a 2010m2 corner block with side access, the home includes a double garage with internal access, 3-bay shed, 8,000L tank, 9.6kW solar, solar hot water and full fencing.

• High ceilings with light-filled open-plan layout

• Ducted air conditioning throughout

• Plantation shutters and premium finishes

• Well-appointed kitchen with large island, electric oven & cooktop

• Butler’s pantry, dishwasher and quality appliances

• 4 spacious bedrooms fitted with ceiling fans

• Main bedroom features walk-in robe and lavish ensuite

• Separate media room and study nook

• Expansive outdoor area overlooking the solar-heated magnesium pool, with ceiling fans, wind-down blinds, and landscaped gardens offering Great Sandy Straits glimpses

• Coastal position minutes to River Heads & the K’gari gateway

• 2010m 2 corner block with side access

• Double garage with internal access

• 3-bay shed plus 8,000 L water tank

9.6 kW solar and solar hot-water system

• Fully fenced yard; security-screened windows and doors with locks 4 2 5 Pool

OFFERS OVER $1,100,000 CONSIDERED LUXURY, LIFESTYLE & GOLF – THE COMPLETE PACKAGE 21 BOWERBIRD AVENUE, ELI WATERS

For the golf enthusiast seeking paradise — welcome home to 21 Bowerbird Avenue, Eli Waters. Backing directly onto the Hervey Bay Golf Course, it offers luxury, space and seamless indoor-outdoor living. Featuring four bedrooms, two modern bathrooms, two spacious living areas and a sleek kitchen with a servery to the outdoor entertaining zone, it’s perfect for families or avid hosts. Enjoy dual alfresco areas, a putting green, outdoor shower and gated course access. With room for a caravan and the boat, plus close to shops and schools - this is premium coastal living at its best.

• Direct private access to Hervey Bay Golf Course

Landscaped putting green – perfect your short game at home

• Spacious bedrooms with built-in wardrobes

• Great sized main bedroom with walk-in and ensuite

• Two separate living areas, ideal for families and entertaining

• Modern kitchen with functional servery window to the patio

4 2 6 Pool 2693m2 Michael Batterham SETTLE FOR MORE MICHAEL BATTERHAM 0401 788 792 michael.batterham@primeagents.com.au ASH HECKELS 0418 986 867 ash.heckels@primeagents.com.au

• Two large undercover entertaining areas, perfect for all-weather outdoor living

• Outdoor shower, great after a beach day or round of golf

• Ample caravan/trailer parking plus side access

• Large double shed for storage or workshop use

• Prime location close to shops, schools, hospitals & Hervey Bay amenities

• Immaculate presentation – move-in ready with nothing to do

OFFERS OVER $1,290,000 A PRECIOUS PEARL

2 PEARL DRIVE, CRAIGNISH

Having undergone major renovations, 2 Pearl Drive leaves no stone unturned. Boasting captivating ocean views and with a generous land size, this home is sure to provide both space and privacy.

Inside is a large open living area and a new kitchen equipped with modern appliances such as induction cooktop, pyrolytic oven and dishwasher. Connecting seamlessly to the upstairs living areas is the wrap around deck where you can capture ocean views.

Located within walking distance to local shops, this exquisite home is just a short drive to Dundowran beaches, making it appealing for those seeking a premium coastal lifestyle.

UPSTAIRS

Wrap around deck with ocean views

• Spacious open plan living area

• Kitchen with stone benchtops, induction cooktop, pyrolytic oven & dishwasher

• Master bedroom, air-conditioned with walk-in robe and ensuite

• Four bedrooms, all with built-in robes and ceiling fans

Spotted Gum flooring throughout

• Renovated main bathroom with double basins and free-standing bath DOWNSTAIRS

• Open plan living area with built-in storage including sink

• Potential fifth bedroom or study

• Renovated bathroom with stone benchtops

• Double garage with remote control door

• Large workshop underneath house

5 3 3 2,018m2 DON BRYANT 0427 225 004 don.bryant@primeagents.com.au

EXPRESSION OF INTEREST

551 ESPLANADE, URANGAN

ENDLESS OPPORTUNITIES ON THE ESPLANADE

Welcome to an incredible lifestyle and investment opportunity on the sought-after Urangan Esplanade – where seaside living meets unmatched potential. Perfectly positioned just a short stroll to Thyme Restaurant, Bayswater Hotel, Salt Café and the iconic Urangan Pier, this expansive property offers more than just a home - it's a chance to create something truly special.

Set on a generous 804m 2 block, this six-bedroom, two-bathroom residence is brimming with possibilities. Whether you're dreaming of dual living, looking to run a business from home, or ready to renovate or develop, the opportunities here are truly endless.

• Prime Esplanade position with sweeping ocean views

• Six bedrooms, Two bathrooms - perfect for dual living or large families

• Modern kitchen overlooking the bay

• Spacious open-plan living flowing to a balcony

• Multi-purpose downstairs area ideal for dual occupancy

• Huge 3-bay shed with high clearance & side access 5klw solar panels

• 804m 2 block with dual residential and commercial zoning

• Walk to cafes, restaurants, and Urangan Pier 6 2 3 802

$1,200,000

29 PARKLANDS BLVD, WONDUNNA

LUXURIOUS LIVING IN WONDUNNA

Welcome to 29 Parklands Boulevard, Wondunna - an architectural masterpiece that seamlessly combines luxury, functionality, and lifestyle. Just a short drive from Hervey Bay CBD, this residence offers the perfect blend of coastal living and refined elegance.

Crafted with meticulous attention to detail, with premium fixtures and finishes, this home showcases high ceilings and an expansive use of glass, carefully curated to create lightfilled interiors with superb flow to multiple outdoor living spaces.

The home's interior boasts sophisticated finishes and thoughtful layout, ideal for both intimate family gatherings and grand entertaining. The open-plan living area seamlessly flows onto a large deck, perfect for outdoor entertaining or simply relaxing while taking in the natural surroundings. With solar panels and solar hot water, this residence not only offers luxury but also sustainable living.

Enjoy the nearby parks and recreational areas, or take advantage of the excellent schools in the vicinity. This exceptional home is a rare find in today's market - don't miss your chance to make it yours.

4 2 2 864sqm

• Four spacious bedrooms, all with excellent storage, versatile living and accommodation options for families or guests

• Spacious master suite with large walk-in robe, luxury ensuite and bifold doors leading onto a private deck

• Expansive light-filled open-plan living and dining with beautiful Hybrid floors, air conditioning, and high ceilings throughout

• Impressive luxury kitchen with stone benches, gas cooktop, built in microwave, Pyrolytic oven, pantry and loads of storage

• Multiple living zones, including comfortable lounge and dining areas, and a private covered entertaining deck - ideal for all-season entertaining

• 5.6klw solar panels, solar hot water and air conditioning throughout Integrated Google Home Assistant

• Double remote garage with direct entry

• 9m x 4.8m caravan and boat carport

• 6m x 3m (approx.) shed - ideal for workshop or storage

• 864sqm elevated block with great side access

$1,195,000

12 HELSHAM STREET, POINT VERNON

IMMACULATELY PRESENTED COASTAL HOME

Set in a highly sought-after peninsula location, this stylish modern PJ BURNS residence offers the perfect coastal lifestyle. Whether you enjoy boating, fishing, or entertaining, this home is designed to complement your lifestyle with space, comfort, and versatility.

Designed for relaxed indoor-outdoor living, this home flows seamlessly from the modern interiors to the alfresco entertaining space. Imagine hosting friends and family while enjoying the tropical-inspired outdoor areas, or relaxing in comfort in the private media room after a day on the water.

With ample storage, modern conveniences, and lifestyle-focused features, this residence is a rare opportunity to enjoy the best of peninsula living. Perfect for families, boating enthusiasts, or anyone seeking a home that combines comfort, style, and the ultimate entertainer’s lifestyle.

Minutes stroll from Gatakers Boat Ramp

• Four generous bedrooms all with robes

• Spacious master bedroom with walk-in robe and stylish ensuite

• Separate media room

• Open-plan kitchen, living and dining areas Modern kitchen with stone benchtops, gas cooktop and walkin pantry

• Enclosed alfresco patio ideal for year round entertaining

• High ceilings, plantation shutters and ceiling fans throughout

• Wide side access perfect for boats or caravans

• Double boat/caravan port and 6x4 shed/workshop

54 LONG STREET, POINT VERNON

COASTAL ELEGANCE ! THE ULTIMATE ENTERTAINER!

Don't miss this rare opportunity to secure your slice of paradise at 54 Long Street, Point Vernon. This exquisite residence offers everything you could ever want and more, with an unbeatable location and impeccable features that will cater to your every need. Brimming with luxury and natural light from its ideal north east facing rear aspect, the home boasts fresh, modern interiors with spacious open-plan living areas, soaring ceilings, and expansive windows.

Situated in the sought after Point Vernon locale, this stunning property presents an unrivaled indoor-outdoor lifestyle just moments from the ocean. Whether hosting friends or enjoying peaceful days by the pool, the large undercover alfresco, low-maintenance gardens and seamless design make this home perfect for both entertaining and relaxation.

• Superbly constructed with high attention to detail and premium xtures and nishes, featuring high ceilings throughout creating a sense of calm and space

• Four generous bedrooms and three fully renovated bathrooms, ensuring plenty of room for the whole family

• The master bedroom is a true retreat, complete with luxe ensuite and walkin robe

• Expansive open-plan living with a cosy replace, air conditioning and plantation shutters adding a touch of sophistication while maintaining the homes inviting charm

• Double remote garage with direct access

By Appointment

• Impressive kitchen with breakfast bar, stone benchtops, 5 burner gas cooktop, dishwasher and loads of storage

• The vast covered alfresco area with built in kitchen overlooks the impressive 15-metre magnesium pool and separate spa, creating an ideal year-round entertaining oasis ideal for dining, lounging, and hosting guests

• Substantial self-contained shed with a bedroom, bathroom, living area, utility space and workshop - perfect for guests or extended family.

• Huge carport with enough clearance to house cars, boat or caravan.

• 4.4Klw solar panels, and security screens throughout

• Situated on a private 1280m² fully fenced block

SECURE, CENTRAL & LOW MAITNENACE VILLA LIVING

Perfect for downsizers, retirees or savvy investors, this near-new villa offers effortless, low-maintenance living in a highly convenient central location. Immaculately presented and movein ready, it features two air-conditioned bedrooms, two stylish bathrooms, spacious open-plan living designed for comfort and ease, plus a double remote garage for convenience. Simply unpack and start enjoying the relaxed Hervey Bay lifestyle. Set within the secure, gated Villas on Main community, the villa occupies a prime rear position with no rear neighbours and only one adjoining side neighbour, ensuring peace, privacy, and a leafy outlook.

Just a short, level stroll from Hervey Bay’s major shopping centre, hospitals, medical precinct and CBD, and with direct access to the mobility corridor and bike path, this location offers unmatched convenience and accessibility for everyday living.

Whether you’re downsizing, seeking a lock-up-and-leave base, or investing in a high-demand area, this beautifully presented villa ticks every box.

• Beautiful open-plan living and dining with high ceilings, air-conditioning and sliding doors onto back porch

• Air-conditioned master bedroom with ensuite and built in robes

• Second spacious air-conditioned bedroom with built-in robes, fan

• Designer kitchen with 40mm stone benchtops, dishwasher, soft close drawers

• Study nook, wide hallways

• Main bathroom with walk in shower and toilet

Inspect By Appointment

• Remote double garage with epoxy ooring , built in storage and laundry

• Low maintenance fully fenced yard, garden shed

• Security screens throughout

• Secure gated entry to complex

• Well-maintained modern complex with reasonable body corporate fees

• Walking distance to CBD, Stocklands Shopping Centre and only minutes to hospital precinct

Perfectly positioned in one of Point Vernon’s most sought-after locations, this charming

and

beaches, you’ll enjoy morning walks, swimming spots, and a true sense of community. Designed for low-maintenance living, this solid brick home offers established gardens, a spacious and practical layout, and seamless indoor–outdoor flow. Ideal for families, retirees, or anyone seeking a peaceful lifestyle, it’s a place where you can slow down, entertain with ease, and enjoy all that this prime coastal location offers. Carlton Street is more than a home – it’s a lifestyle waiting for you.

• Prime Point Vernon location, walk to beach & Esplanade

• 4 bedrooms, main with ensuite & walk-in robe

• Built-ins & ceiling fans to all bedrooms

• Two separate living areas

• Open-plan living & dining

• Spacious kitchen with gas cooktop & dishwasher

Inspect By Appointment

• Security screens throughout

• Large covered outdoor entertaining area

• Fully fenced yard with room for a pool

• 9m x 7.5m two-bay shed with toilet & shower

• 22,700L rainwater tank for gardens

• Close to schools, shops & medical facilities

COASTLINE MEETS COMFORT

Wake each morning to gentle sea breezes and the sound of nature at 12 Seahorse Circuit, Dundowran Beach. Perfectly positioned in one of the suburb’s most desirable streets, this home captures the essence of coastal living – relaxed, open and effortlessly comfortable. Thoughtfully designed for both connection and calm, it’s a place where indoor and outdoor spaces flow together, and every detail invites you to slow down and enjoy the moment. Whether you’re entertaining friends, spending time with family, or unwinding in your private retreat, this home offers a lifestyle that feels like a holiday every day – where coastline meets comfort and life feels a little easier.

• Open-plan living and dining connecting seamlessly to outdoor entertaining

• Modern kitchen with stone benchtops, quality appliances and ample storage

• Covered alfresco patio overlooking landscaped gardens and wide lawns

• Spacious master suite with walk-in robe and private ensuite

• Three additional bedrooms with built-ins for family or guests

• Two stylish bathrooms designed for everyday ease

• Double garage with internal access

• Wide side access and secure yard ideal for boat or caravan storage

• Low-maintenance block with established coastal landscaping

• Just minutes to Dundowran Beach, local cafes and Hervey Bay amenities $1,299,000

This stunning, newly completed residence has been thoughtfully designed to combine style and functionality, creating the ultimate space for modern family living.

Soaring raked ceilings and strategically placed windows flood the open-plan living spaces with natural light, enhancing the sense of space and warmth throughout. At the heart of the home, the beautifully appointed kitchen is a true showstopper, featuring a generous walk-in pantry, stone benchtops, an island bench, electric cooktop, oven, and dishwasher. Overlooking the dining and living zones, this flows seamlessly out to the alfresco entertaining patio, making it perfect for gatherings with family and friends.

The floor plan offers four spacious bedrooms with built-in robes, plus a dedicated media room for movie nights or flexible living. The master suite is a true retreat, complete with airconditioning, a sleek ensuite, and a walk-in robe.

Set on a massive 1,412m2 fully fenced block, this home offers endless possibilities, whether it is adding a pool, building a large shed, or creating the ultimate backyard for children and pets. You will have the perfect space to make memories.

• Brand new four-bedroom, two-bathroom home

• kitchen with stone benchtops, stylish lighting above island bench, integrated dishwasher & walk-in pantry

• Master suite with walk-in robe and luxurious ensuite

• Spacious open-plan living and dining with raked ceilings & natural light

• Additional media room for family flexibility

• Outdoor alfresco entertaining area

• Huge 1,412m² fully fenced block with plenty of scope for a pool or shed

• Double garage

• Air-conditioning in main bedroom and living/dining area

• Carpeted bedrooms & stylish wood-look planking throughout

• Prime location close to hospital precinct, parks, schools, beach and Stockland shopping centre

18 FLYNN COURT, URRAWEEN

COMFORT, CONVENIENCE & CHARM

Nestled at the end of a quiet cul-de-sac, 18 Flynn Court offers low-maintenance living in one of Urraween’s most desirable pockets. This neat brick home features three bedrooms, two bathrooms, and a spacious open-plan living and dining area filled with natural light.

Step outside to the large undercover patio with pull-down blinds—ideal for entertaining year-round. The beautifully landscaped backyard boasts lush, established gardens and a garden shed, creating a serene retreat for garden or bird lovers. Additional highlights include a double lock-up garage, side access, air conditioning, and built-in wardrobes.

Set on a level block and fully fenced, this home is perfect for downsizers, first home buyers, or investors alike. Enjoy the convenience of being just minutes from shops, schools, medical facilities, and beaches.

Don't miss this opportunity—contact Ash Heckels at Prime Agents on 0418 986 867 to arrange your private inspection.

• All bedrooms include ceiling fans and built-in wardrobes

• Master bedroom with ensuite and built-in robes

• Neat and tidy kitchen with ample bench and cupboard space

• Split-system air conditioning and ceiling fans

• Spacious undercover patio with pull-down blinds, perfect for year-round entertaining

Inspect By Appointment

• Beautifully landscaped backyard with lush, established gardens and a garden shed

• Fully fenced yard, perfect for pets or kids to play

• Double lock-up garage with side access for added convenience

• Low-maintenance block, allowing you to spend more time enjoying life

• Quiet cul-de-sac location, just minutes to shopping centres, hospitals, schools, and beaches

BEAUTIFUL BEACHSIDE PROPERTY ON A QUARTER ACRE!

Now is your chance to secure a beachside home in Urangan. Situated on just over a quarter-acre, this charming property is just a short stroll from the beautiful beaches of Urangan, the iconic pier, restaurants and the vibrant marina precinct.

Inside, the home features polished timber floors that add warmth and character, a spacious airconditioned lounge and a great kitchen complete with an extra-large pantry and ample bench space. When you step outside to a large undercover entertainment area which is ideal for family gatherings or quiet evenings with friends and family you overlook the beautiful landscaped gardens. The property also includes a single garage plus an extra-high carport.

• Beachside, close to the Esplanade

• Polished timber oors

• Spacious air-conditioned lounge for yearround comfort

• Well-appointed kitchen with extra-large pantry

• Separate study ideal for working from home or hobby space

• Generous outdoor entertaining area

• Single garage and extra high carport

• Short stroll to Pier and Marina precinct

COUNTRY CHARM MEETS COASTAL LIVING

Set on a sprawling 3,025m2 allotment, this beautifully crafted brick residence combines timeless country charm with modern functionality.

Designed across a single level, the home boasts soaring raked ceilings, expansive windows, and a thoughtful layout that captures natural light, ocean glimpses, and refreshing sea breezes.

Perfect for families, dual living, or even an exclusive bed and breakfast, it offers versatility and lifestyle appeal. A fully self-contained granny flat ensures privacy for guests or potential rental income. Manicured gardens, fruit trees, and a sparkling in-ground pool complete this exceptional package just minutes from Hervey Bay’s shops, schools, and pristine beaches.

• Expansive 3,025m² block with landscaped grounds

• Solid single-level brick construction

• Light- lled living with raked ceilings

• Open-plan kitchen, dining, and lounge areas

• Quartz in-ground swimming pool

• Established fruit trees and manicured gardens

• Multiple outdoor entertaining spaces

• Sustainable features for ef cient living

• Three bedrooms with built-in robes

TERESE PAYNE 0427 842 590

MICHAEL BATTERHAM 0401 788 792

OFFERS OVER $865,000

INSPECT BY APPOINTMENT

BEAUTIFULLY PRESENTED TOWNHOUSE – WALK TO THE BEACH & MARINA

Lifestyle, location, and functionality meet in this beautifully presented three-bedroom townhouse, perfectly positioned just a short stroll from Urangan’s beaches, marina, cafes, and shops.

Offering a clever split-level design, the home is ideal for family living, guest accommodation, or even a home-based business. Multiple indoor and outdoor living zones ensure comfort and privacy, while the low-maintenance garden makes life easy.

With its versatile layout, stylish presentation, and sought-after position, this property is an excellent choice for those seeking a permanent residence, coastal retreat, or smart investment in the heart of Urangan.

• Three spacious bedrooms

• Smart split-level oorplan

• Two separate living areas

• Light- lled kitchen upstairs

• Combined bathroom/laundry plus two toilets

• Covered front patio and private rear patio

• Dual external staircases for easy access

• Fully fenced, low-maintenance garden

• Secure and private setting

• Walk to beach, marina, shops, and cafes

TERESE PAYNE 0427 842 590

MICHAEL BATTERHAM 0401 788 792

OFFERS OVER $575,000

• Self-contained brick granny at for guests or income

• Close to Hervey Bay beaches, schools, and amenities

TERESE PAYNE 0427 842 590

MICHAEL BATTERHAM 0401 788 792

OVER $1,165,000

BEACHFRONT LIFESTYLE HUGE TOWNHOUSE IN THE HEART OF SCARNESS! Location truly doesn’t get better! Positioned directly opposite Hervey Bay’s pristine beaches and within walking distance to Scarness’ cafés, restaurants, bars, and shopping, this beautifully presented townhouse offers the perfect balance of lifestyle, space, and convenience.

Larger than many homes, it showcases generous open-plan living, multiple verandas to capture sea breezes, and a gourmet kitchen designed for entertaining. The boutique complex features tropical gardens and a shared BBQ deck, while low body corporate fees make ownership stressfree. Upstairs, three spacious bedrooms ducted air conditioning a renovated bathroom, and master ensuite complete this beachside gem. The seller is motivated, and all offers are invited.

• Absolute prime position opposite Scarness beach

• Generous open-plan living areas with coastal ow

• Multiple verandas designed to capture sea breezes

• Master retreat with private ensuite

• Stylish gourmet kitchen perfect for entertaining

• Three large bedrooms with ducted airconditioning

• Renovated family bathroom with modern nishes

• Tropical gardens, BBQ deck & low body corporate

TERESE PAYNE 0427 842 590

MICHAEL BATTERHAM 0401 788 792

OFFERS OVER $679,000

INSPECT
Unit 4/54 Freshwater Street, Scarness
Unit 2/70 Hibiscus Street, Urangan

Located on 45 hectares of gently undulating land complete with sweeping vistas of the Great Sandy Strait and Fraser Island, Fraser Vista is arguably the best new water and island view address on the Fraser Coast..

Situated within close proximity to village shops, local schools and Hervey Bay town centre, this is the perfect time to embrace a sea change or start your retirement dream on the Fraser Coast.

Titles anticipated August and November 2025. View the site at 62 Mahalo Road Booral (eastern end of Mahalo Road)

90 Bilsborough Road, Pacific Haven 1 Bed 1 Bath 2 Car

90 BILSBOROUGH ROAD, Pacific Haven

Nestled on the peaceful Bilsborough Road, this secluded and wonderful 30 acres of country paradise is up for grabs. Enjoy the serene retreat, only minutes’ drive to the bustling and charming town of Howard. Imagine the possibilities for you and your family with this much space. Soak up the tranquil environment of farming land on the riverfront. This welcoming parcel of land is perfect for families seeking a comfortable lifestyle within reach of essential amenities and recreational spots. Fishing and crabbing from your property, how good is that.

The owners have done the hard work for you. There are multiple sites to build the new home if that’s what you’re after. The mains power is ready to go, for you to build immediately. It’s approx. halfway towards the water edge

*Note the ‘House” building is not approved. The property is sold a vacant land with an approved shed.

The shed is insulated, plumbed and wired professionally. It is set up like a four-bedroom home with one bathroom and a generous-size kitchen; lounge and laundry. The patio spans approx. 16m (L) x 6 m (W). It can before recreation and relaxing under or a perfect space for the motorhome or boat.

The home is run from 66,000 litres of tank water with 2 x brand new 22,000 ltr tanks to be installed by the new owner. There is an additional approved shed which is approx. 6m (w) x 8m (L), with lights and power.

Mains power is connected to the property, plus a small off-grid battery set-up is there for you too. Ideal for a weekender; or a low electricity user.

The property is divided by fences into two paddocks and the main arena. Stable/ Chicken coup Whether you want to run some cattle or just take care of your family horses, you may only limited by your imagination.

Perhaps this is the perfect start and place to lay your head whilst you build your dream home. Maybe your holiday getaway. Rarely is such an opportunity to purchase land, close to the main hub of town available.

Features nearby:

• School bus stop

• Howard 18 Golf Course

• Bakery

• Butcher

• Grand Hotel

• Historical Brooklyn House

• Convenience store

• Hair dresser

• Torbanlea Primary School approx. 10min drive

• Torbanlea Race Track

With easy access to these nearby facilities, everything you need is just a short drive away. This property presents an exceptional opportunity to secure your family in a vibrant community.

2 Ansons Road, Dundowran Beach www.rayedward.com.au

KITCHEN

• PRIVATE OUTDOOR COURTYARD AREA

• CLOSE TO SHOPS

• WALKING DISTANCE TO BEACH

• DRYER???

2 BED, 2 BATH, 1 CAR PRICE : $455,000 QUAD 136 TRURO

BACKYARD

• THREE WELL-APPOINTED BEDROOMS WITH BUILT IN WARDROBES

• CEILING FANS THROUGHOUT

• FULLY FENCED 840M2 BLOCK

• DUAL STREET ACCESS

• BRICK VENEER

• SECURITY SCREENS

QUAD 2 COASTBAY CLOSE POINT VERNON A FABULOUS FAMILY HOME IN A PRIME POINT VERNON

• 2 BEDROOMS WITH BUILT INS

• INDUCTION COOKTOP AND DISHWASHER

• FANS THROUGHOUT

• AIRCONDITING

• 2 BATHROOMS INCLUDING ENSUITE WITH CORNER SPA BATH

• 3 CAR ACCOMODATION/ DOUBLE LOCK UP GARAGE WITH ATTACHED CARPORT

• SECURITY SCREENS THROUGHOUT

• CARPET AND TILES

• POOL

• CLOSE TO BOATRAMPS, WALKING/BIKE PATHS, PARKS AND BEACH

• QUIET CUL DE SAC

With interest in the area growing and quality homes in demand, this is your chance to secure a standout property in a thriving, family-friendly community.

Explore the perfect mix of home and lifestyle at Latitude25.

Each home offers modern & functional layouts, premium finishes and huge RV garages with space for your caravan, motorhome, boat or hobby.

Take a tour through our completed resort-style facilities, and see the beautifully maintained, pre-loved homes available in a number of different designs and price ranges.

To view the homes that tick all of your boxes, bookings are required. Please book online or call our team today!

visitlatitude25.com.au

Step through private gates into a secluded 1.5-acre estate of rolling lawns and lush tropical gardens. This architecturally designed Queenslander-inspired home blends privacy, lifestyle, and timeless character.

The all-white façade with sweeping verandahs sets the tone for elevated living. Inside, timber oors, bay windows, and French doors create warmth, while the entertainer’s kitchen, with 900mm gas cooktop, dual dishwashers, and ample storage, anchors the home.

Four bedrooms plus a library/ fth bedroom are positioned across two levels, including a master with walk-in robe, ensuite, and private verandah. A 3-bay shed (6x12m) and double lock-up garage offer space for hobbies or professional use. Sustainability features include bore water, irrigation, and a 12.5kW solar system (32 panels).

Features

• 1.5 acres of lawns & tropical gardens

• Sweeping verandahs & elevated position

• Timber oors, bay windows & French doors

• Five bedrooms, master with ensuite & private veranda

• Library & upstairs bedrooms with views & storage

• Sparkling inground pool, gazebo & BBQ area

• Double lock-up garage + 3-bay shed

• Bore water, irrigation & 12.5kW solar (32 panels)

Disclaimer: Information obtained from sources believed reliable; buyers should carry out their own investigations.

Turn static files into dynamic content formats.

Create a flipbook
Issuu converts static files into: digital portfolios, online yearbooks, online catalogs, digital photo albums and more. Sign up and create your flipbook.