El Dentista Moderno - nº 78

Page 1

D4.0

ENTREVISTAS

• Dr. Juan Carlos Pérez Varela, presidente de SEdO y co-presidente del Comité Organizador del II Congreso de Alineadores y Nuevas Tecnologías

• Dr. Vicente Farga Monzó, presidente del 52º Congreso Anual de SEPES

• Dr. Juan Blanco, co-coordinador del SEPA Bone Regeneration

Global Summit

GESTIÓN, COMUNICACIÓN Y MARKETING

Técnicas para mejorar la experiencia de ir al dentista

PROFILAXIS ANTIBIÓTICA BOPT IMPRESIÓN 3D www.eldentistamoderno.com
IMPLANTOLOGÍA
N úmero 78 • Septiembre 2023 @dentistamoderno @eldentistamoderno @eldentistamoderno @eldentistamoderno
Siguiendo la evolución de la Odontología para el profesional del sector llamado a construir el futuro
SEPA-DM SITUACIÓN INICIAL MAPEO

INICIO: 26 octubre 2023

LUGAR: Madrid-Valencia

DIRECTORES: Dr. Primitivo Roig y Dr. Pepe Jabaloyes

CÁTEDRA: ESDOC - UPV

PLAZAS

ESCUELA EMPRESARIAL PARA DOCTORES Y PROFESIONALES DE LA SALUD Alcanza el equilibrio entre la práctica clínica y la gestión www.esdoc.es 961 333 790 info@esdoc.es
LIMITADAS
ABIERTA MATRÍCULA

CONCEPTO BIOBLOCK®

Perfecto sellado biológico Excelente hermetismo

LA MEJOR DECISIÓN PARA EL ÉXITO DE TUS TRATAMIENTOS IMPLANTOLÓGICOS

La utilización de pilares intermedios permite importantes ventajas como un menor riesgo de periimplantitis, una mejor transmisión de las cargas y un mayor contacto con los tejido s blandos gracias a sus propiedades físico-químicas

Ebook gratuito

TRANSEPITELIAL PARA PRÓTESIS UNITARIA CON CARGA INMEDIATA

1 eldentistamoderno septiembre 2023
BTI Biotechnology Institute Tel: (+34) 945 140 024 | info@bticomercial.com | bti-biotechnologyinstitute.com
BIOBLOCK ® : NUEVO ENFOQUE PROSTODÓNTICO

sumario

DM eldentistamoderno

Número 78 - Septiembre 2023

En portada:

Figura 6 de la página 21, correspondiente al caso de BOPT, titulado “BOPT: concepto, antecedentes históricos y principios básicos clínicos

6 EDITORIAL

¡Es momento de cambio!

Por Anna RamIro, miembro del Comité Científico de DM Dentista Moderno.

IMPLANTOLOGÍA

PROFILAXIS ANTIBIÓTICA

BOPT IMPRESIÓN

8

IMPLANTOLOGÍA

Rehabilitación parcial con carga inmediata en implantes con conexión cónica hexagonal interna

Autores: Dr. Rosario Acampora y Odont. Simone Fedi

12

Siguiendo la evolución de la odontología

DIRECTORA

Emiliana Rodríguez Charmes emi.rodriguez@eldentistamoderno.com

SUBDIRECTORA

Beatriz Suárez de la Vega beatriz.suarez@eldentistamoderno.com

REDACCIÓN Y FOTOGRAFÍA

Departamentos propios Versys Ediciones Técnicas

DIRECTOR CIENTÍFICO

Imanol Donnay

COMITÉ CIENTÍFICO

Javier de la Cruz, José Nart, Jesús Daniel Parejo, Juan López

Palafox, Miguel Burgueño, Juan Manuel Vadillo, Guillermo

Galván, Rafael Martínez de Fuentes, Anna Ramiro, Carlos

Repullo, Leticia Rodríguez, Marta Revilla, José María Malfaz, Eva Mª Martínez y Eva López de Castro

DISEÑO Y MAQUETACIÓN

Manuel Beviá

DIRECTORA COMERCIAL ÁREA DE DISTRIBUCIÓN

Mercedes Álvarez mercedes.alvarez@versysediciones.com

DIRECTORA DE CUENTAS DM

Emiliana Rodríguez Charmes emi.rodriguez@eldentistamoderno.com

EJECUTIVA DE CUENTAS DM

Beatriz Montero Fernández de Bobadilla beatriz.montero@eldentistamoderno.com

PROFILAXIS ANTIBIÓTICA

Profilaxis antibiótica en odontología: cuándo y cómo aplicarla para evitar el abuso de medicamentos

Autores: Dra. Ana Boquete Castro y Dr. Stevens Salva Sutherland

18 BOPT

28

SEPA-DM

BOPT: concepto, antecedentes históricos y principios básicos clínicos

Autores: Dres. Ignazio Loi, Tommaso Caivano y Xavier Rodríguez

IMPRESIÓN 3D

Impresión de coronas en menos de una hora. Flujo digital

Autor: Dr. Fernando Germán

64

78

ACTUALIDAD DEL SECTOR DENTAL

NOVEDADES

Equipamiento, instrumental y material protésico, dental y clínico

eldentistamoderno septiembre 2023

2
SUMARIO
3D www.eldentistamoderno.com Siguiendo la evolución de la Odontología para el profesional del sector llamado a construir el futuro N úmero 78 • Septiembre 2023 @dentistamoderno @eldentistamoderno @eldentistamoderno @eldentistamoderno D4.0 ENTREVISTAS Dr. Juan Carlos Pérez Varela, presidente de SEdO y co-presidente del Comité Organizador del II Congreso de Alineadores y Nuevas Tecnologías Dr. Vicente Farga Monzó, presidente del 52º Congreso Anual de SEPES • Dr. Juan Blanco, co-coordinador del SEPA Bone Regeneration Global Summit GESTIÓN, COMUNICACIÓN Y MARKETING Técnicas para mejorar la experiencia de ir al dentista SEPA-DM SITUACIÓN INICIAL MAPEO

PROMOCIÓN DE LA SALUD FORMACIÓN CONTINUADA ACCIÓN SOLIDARIA

3 eldentistamoderno septiembre 2023 FUNDACIÓN DENTAL
SALUD
ESPAÑOLA TU
ORAL NUESTRO COMPROMISO
www.fundaciondental.es

sumario

Impresión: Gama Color

Depósito Legal: M-33444-2013

ISSN: 2340-9703

ISSN (internet): 2340-9797

DENTISTA 4.0

42 ENTREVISTA

“Todas las ponencias, mesas de debate y casos clínicos presentados en el Congreso SEdO 2023 estarán enfocados a una aplicación práctica”

Dr. Juan Carlos Pérez Varela, presidente de SEdO y co-presidente del Comité Organizador del II Congreso de Alineadores y Nuevas Tecnologías

Versys Ediciones Técnicas S.L. Invierno, 17

28850 Torrejón de Ardoz (+34) 912 972 000 administracion@versysediciones.com

CEO

José Manuel Marcos Franco de Sarabia

DIRECTORA DE OPERACIONES

Esther Crespo

DIRECTOR DE EXPANSIÓN

Y DESARROLLO

José Manuel Marcos de Juanes

46 ENTREVISTA

Entrevista con el Dr. Luis Ilzarbe, uno de los primeros usuarios de Invisalign Smile Architect™

El Dr. Luis Ilzarbe, odontólogo.

48 ENTREVISTA

“En el Congreso conoceremos los sistemas más efectivos del mercado y que nos aportan los mejores caminos digitales posibles”

Dr. Vicente Farga Monzó, presidente del 52º Congreso Anual de SEPES

52 ENTREVISTA

Copyrigth Versys Ediciones Técnicas S.L. La suscripción a esta publicación autoriza el uso exclusivo y personal de la misma por parte del suscriptor. Cualquier otra reproducción, distribución, comunicación pública o transformación de esta publicación sólo puede ser realizada con la autorización de sus titulares. En particular, la Editorial, a los efectos previstos en el art. 32.1 párrafo 2 del vigente TRLPI, se opone expresamente a que cualquier fragmento de esta obra sea utilizado para la realización de resúmenes de prensa, salvo que cuente con la autorización específica. Diríjase a CEDRO (Centro Español de Derechos Reprográficos) si necesita fotocopiar, escanear, distribuir o poner a disposición de otros usuarios algún fragmento de esta obra, o si quiere utilizarla para elaborar resúmenes de prensa (www.conlicencia.com; 917021970/932720447)

Las opiniones y conceptos vertidos en los artículos firmados lo son exclusivamente de sus autores, sin que la revista los comparta necesariamente.

“La adhesión, la osteointegración y la regeneración son los tres principios biológicos que han cambiado totalmente la odontología del siglo XXI”

Dr. Juan Blanco, co-coordinador del SEPA Bone Regeneration Global Summit

56 ENTREVISTA

“Queremos un paciente informado y para ello debemos proporcionarle conocimiento”

Dra. Olalla Argibay, vocal de la Junta Directiva de SEPA

60 GESTIÓN, COMUNICACIÓN Y MARKETING

Técnicas para mejorar la experiencia de ir al dentista

Por: Dra. Cristina Moreno, odontóloga especializada en el tratamiento del dolor dental y directora del Centro Odontológico Dra. Moreno

4 el
dentistamoderno septiembre 2023
SUMARIO
Accede a El Dentista Moderno
Siguiendo
GESTIÓN, COMUNICACIÓN Y MARKETING Técnicas para mejorar la experiencia de ir al dentista ENTREVISTAS Dr. Juan Carlos Pérez Varela, presidente de SEdO y co-presidente del Comité Organizador del Congreso de Alineadores y Nuevas Tecnologías 123RF Dr. Vicente Farga Monzó, presidente del 52º Congreso Anual de SEPES Dr. Juan Blanco, co-coordinador del SEPA Bone Regeneration Global Summit Dra. Olalla Argibay, vocal de la Junta Directiva de SEPA Dr. Luis Ilzarbe, odontólogo.
la evolución de la Odontología para el profesional del sector llamado a construir el futuro
Premio de Comunicación SECIB 2019
4
RESTAURACIÓN TEMPORAL* BARRERA PARA IRRIGANTES RAMPAS DE MORDIDA Y RECONSTRUCCIONES OCLUSALES FERULIZACIÓN ENTRE COFIAS DE IMPLANTES ULTRADENT.ES | info@ultradent.es 696 616 752 Área Norte - 616 982 237 Área Levante - 699 888 731 Área Centro NEW!
EN 1 RESINA TEMPORAL
* Onlay/Inlay, blanqueamiento endodóntico, restauraciones temporales en endodoncia, reconstrucción de cúspides. Obtenga más información, escanee el código QR

¡ES MOMENTO DE CAMBIO!

La salud bucal siempre ha sido un tema de gran importancia en la atención médica y la calidad de vida de las personas. En este contexto, las enfermedades periodontales, que afectan a las estructuras de soporte, han estado en el centro de atención debido a su conexión evidente con las patologías sistémicas. Estas asociaciones han despertado un interés significativo entre los profesionales de la salud y han resaltado la necesidad de un enfoque integral para el cuidado de la salud en general. Las enfermedades periodontales, no son simplemente problemas dentales aislados; más bien, actúan como marcadores de alerta temprana para un conjunto diverso de condiciones de salud sistémicas. Numerosos estudios científicos han demostrado una relación bidireccional entre las enfermedades periodontales y la diabetes.

Uno de los mecanismos clave detrás de esta relación es la inflamación. Las enfermedades periodontales pueden desencadenar una respuesta inflamatoria sistémica en el organismo, lo que, a su vez, puede agravar las condiciones existentes o aumentar el riesgo de desarrollar nuevas enfermedades. Además, la presencia de bacterias periodontales en el torrente sanguíneo puede contribuir a la inflamación generalizada y desencadenar una cascada de eventos perjudiciales.

La diabetes es uno de los ejemplos más notables de esta conexión. Las personas con diabetes tienen un riesgo significativamente mayor de desarrollar enfermedades periodontales, y la inversa también es cierta: las enfermedades periodontales pueden dificultar el control de la glucosa en sangre en personas con diabetes. Este vínculo se basa en la interacción entre la inflamación y la resistencia a la insulina.

La relación entre las enfermedades periodontales y las enfermedades cardiovasculares también ha sido objeto de atención. La inflamación crónica y la presencia de bacterias periodontales en la sangre pueden aumentar el riesgo de aterosclerosis y eventos cardiovasculares como infartos y accidentes cerebrovasculares.

El reconocimiento de estas interconexiones ha llevado a un cambio en la forma en que los profesionales de la salud abordamos la atención al paciente. Ahora se entiende que no podemos tratar la salud bucal de manera aislada de la salud general. Los equipos médicos y dentales colaboran estrechamente para brindar un enfoque conjunto, considerando tanto los aspectos orales como sistémicos de la salud del paciente.

Además, la promoción de una buena higiene bucal y el acceso a la atención dental preventiva se han convertido en elementos esenciales para la prevención de enfermedades crónicas. Educar a la población sobre la importancia de mantener una boca sana como parte de un estilo de vida saludable es fundamental para prevenir no solo problemas dentales, sino también afecciones sistémicas potencialmente graves.

La relación entre las enfermedades periodontales y las patologías sistémicas es un campo en rápido crecimiento de la investigación médica que subraya la necesidad de un enfoque interdisciplinario en la atención médica. La salud bucal y la salud general están intrínsecamente conectadas, y la prevención y el tratamiento adecuados en ambas áreas son esenciales para garantizar una vida saludable y de calidad para todos.

La falta de importancia que a menudo se le da a las patologías sistémicas en la odontología puede deberse a varias razones. En primer lugar, la odontología se ha separado de otras disciplinas médicas, lo que ha llevado a un enfoque excesivamente estrecho en la salud oral. Nos hemos centrado en el tratamiento de enfermedades dentales y periodontales sin considerar de manera proactiva el estado de salud general del paciente.

Otro factor que contribuye a la falta de énfasis en las patologías sistémicas en la odontología es la falta de capacitación integral en salud sistémica durante la formación de los profesionales dentales. Muchos profesionales no tienen la preparación necesaria o no están familiarizados para identificar y abordar problemas de salud sistémica en sus pacientes. Por tanto, ¡es momento de cambio!

6 eldentistamoderno septiembre 2023
EDITORIAL
Miguel Burgueño Javier de la Cruz Eva López de Castro Juan Manuel Vadillo Marta Revilla Carlos Repullo José María Malfaz Rafael Martínez Juan López Palafox Jesús Daniel Parejo Director Científico de DM Dentista Moderno. Dr. Imanol Donnay Leticia Rodríguez José Nart Anna Ramiro Miembro del Comité Científico de DM Dentista Moderno. Eva Mª Martínez

EDICIÓN ESPECIAL CLÍNICAS DENTALES 2023/24

El papel de la digitalización en la transformación de las clínicas dentales en España

En los últimos años, la digitalización y las nuevas tecnologías han cambiado la forma de entender la Odontología y su aplicación está transformando las bases de la profesión. Las clínicas dentales y sus equipos al completo se enfrentan día a día a nuevos desafíos y retos con el fin de adaptarse a los flujos digitales y aprovechar estos nuevos recursos en todos los ámbitos (diagnóstico, equipamiento, tratamiento, gestión, atención al paciente…) para ofrecer tratamientos cada vez más seguros, precisos y eficaces que permitan una atención más personalizada a los pacientes.

Desde la revista El Dentista Moderno estamos elaborando una edición especial en la que una selección destacada de clínicas dentales tendrán la oportunidad de mostrar su visión profesional sobre la digitalización como protagonistas de esta transformación, además de dar a conocer su filosofía y proyecto clínico, entre otros aspectos. Una edición multiplataforma que servirá para reflexionar sobre la transformación que están protagonizando las clínicas dentales en España con la imparable introducción de la digitalización y las nuevas tecnologías.

¿Está tu clínica dental digitalizada? Si es así y quieres formar parte de esta Edición Especial Clínicas Dentales 2023/24, ponte en contacto con nosotros en info@eldentistamoderno.com

7 eldentistamoderno septiembre 2023
Foto: Pixabay
Versión print y digital

caso clínico

REHABILITACIÓN PARCIAL CON CARGA INMEDIATA EN IMPLANTES CON CONEXIÓN CÓNICA HEXAGONAL INTERNA

En este caso, un paciente masculino de 69 años acude a la consulta con edentulismo parcial del maxilar inferior y finalmente se opta por la colocación de elementos intermedios, pilares Multi Unit , lo que permite protetizar implantes con conexión interna como si fueran implantes con conexión externa, ya que se ha observado que la conexión cónica interna puede proporcionar mejores resultados en términos de estabilidad y rendimiento de sellado, y permite una distribución de la carga más homogénea a lo largo del implante y del hueso circundante.

Apartir del protocolo de tratamiento propuesto por Branemark, se han desarrollado diferentes macrodiseños y microdiseños de implantes, procedimientos quirúrgicos y protocolos protésicos con el fin de mejorar los resultados funcionales y estéticos de los tratamientos con implantes.

En particular, el diseño y la posición de la interfase implante/pilar se han examinado minuciosamente para minimizar la reabsorción ósea marginal temprana (MBL) y la infiltración temprana en el interior de la conexión.

Se ha observado que la conexión cónica interna puede proporcionar mejores resultados en términos de estabilidad y rendimiento de sellado, y permite una distribución de la carga más homogénea a lo largo del implante y del hueso circundante.

Materiales y métodos

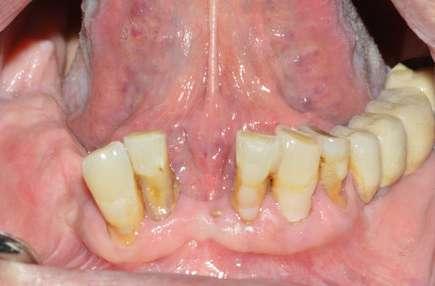
Paciente masculino de 69 años, no fumador, en buen estado clínico general, acudió a nuestra consulta con edentulismo parcial del maxilar inferior (Fig.1).

La necesidad del paciente era rehabilitar parcialmente y en una sola sesión la hemiarcada inferior parcialmente edéntula mediante prótesis fija implantosoportada.

Vista clínica intraoral (Fig. 1) que muestra la arcada inferior parcialmente edéntula con las piezas dentales remanentes.

El examen radiológico ortopanorámico (Fig. 2) mostraba una conservación suficiente de la cresta observada verticalmente y de los grosores óseos y vestibulares orales para la inserción de 4 implantes Mesa Igea Regular con conexión cónica y hexagonal interna.

8 eldentistamoderno septiembre 2023 IMPLANTOLOGÍA
1 2

Dr. Rosario Acampora

Graduado en Odontología, especializado en «Cirugía Dental» en la Universidad Estatal de Reims «Francia». Antiguo profesor adjunto para la enseñanza de la Gnatología en Implantoprótesis en la Universidad de Bari. Especializado en Cirugía Periodontal reconstructiva en la Universidad de Nápoles Federico II. Director del Departamento de Cirugía Implantoprótesis

del Centro Odontológico ARF de Nápoles. Miembro de ANDI y AIOP, autor de diversas publicaciones científicas en revistas nacionales e internacionales y ponente en diversos congresos nacionales e internacionales.

Se desarrolló el proyecto del implante (Fig. 3) y se procedió a la creación de una plantilla quirúrgica protésica (Fig. 4 y Fig. 5).

Simone

el título de protésico dental en 1997 con 60/60 y es propietario del laboratorio Dentaltech en Pistoya. En primer lugar, se especializó en prótesis dental siguiendo cursos sobre el método de Gerber y Passamonti y, posteriormente, se especializó en diseño digital, convirtiéndose en formador oficial de Exocad. Es ponente oficial de Rhein y colabora activamente con Mesa. Y es autor de numerosas publicaciones nacionales e internacionales.

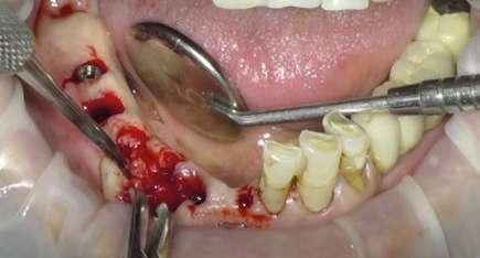
Desbridamiento quirúrgico (Fig. 6) de dos piezas dentales no recuperables.

Después de preparar la zona del implante con fresas calibradas con abundante irrigación, se procedió a la inserción del implante (Fig. 7 y Fig. 8) con un torque de 45 N/cm2

9 eldentistamoderno septiembre 2023 Artículo patrocinado
3 5 6 7 4
Odont. Fedi Obtuvo

caso clínico

La prótesis provisional preestablecida (Fig. 11) se realiza en la fase posquirúrgica inmediata permitiendo una funcionalización inmediata de los implantes .

Se ha optado por la colocación de elementos intermedios, pilares Multi Unit (Fig. 9), de tal forma que nos ha permitido protetizar implantes con conexión interna como si fueran implantes con conexión externa.

Verificación al finalizar la rehabilitación implantoprotésica (Fig. 12-13): el producto cumple con los requisitos estéticos preestablecidos.

El control radiográfico en el postoperatorio (Fig. 10) permite la valoración del posicionamiento de las fijaciones según el proyecto del implante y del acoplamiento de los componentes implantoprotésicos.

10 eldentistamoderno septiembre 2023 IMPLANTOLOGÍA
8 10
11 12 13 9

Presenta el nuevo

Sistema de implante Facil y Estable

revisión de la literatura

PROFILAXIS ANTIBIÓTICA EN ODONTOLOGÍA: CUÁNDO Y CÓMO APLICARLA PARA EVITAR EL ABUSO DE MEDICAMENTOS

La literatura revisada resalta la controversia existente en relación con la efectividad y necesidad de la profilaxis antibiótica para reducir el riesgo de endocarditis infecciosa (EI). Este artículo resalta la importancia de que la comunidad odontológica tome conciencia del aumento en el número de microorganismos de la cavidad bucal resistentes a los antibióticos debido a la incorrecta indicación de profilaxis y a la confusión entre lo que es tratamiento y lo que es la profilaxis per se. Es por ello que los autores destacan que establecer claros criterios y abordar este tema es de gran relevancia y actualidad.

Introducción

El aumento de la esperanza de vida y la cronificación de algunas enfermedades hace que cada vez existan más pacientes con compromisos sistémicos que requieren tratamiento odontológico (1). A esto se suma un problema médico mundial, que es el aumento de la resistencia a los antibióticos, llegando a existir la posibilidad de que estos pierdan eficacia ante determinadas infecciones. Se calcula que cada año mueren unas 700.000 personas a nivel mundial y según el Centro Europeo para la Prevención y el Control de las Enfermedades, alrededor de 2.500 personas mueren cada año en España como resultado de infecciones con resistencia a los antimicrobianos. Se prevé que esta cifra aumentará hasta los 10 millones de muertes en todo el mundo en el año 2050 si no se toman medidas eficaces (2).

Por otra parte, cabe destacar que la cavidad bucal forma un complejo ecosistema compuesto por más de 500 especies bacterianas;  Streptococcus, Peptostreptococcus, Veillonella, Lactobacillus y Corynebacterium representan más del 80% de toda la flora oral ,y patologías comunes de la cavidad bucal como la periodontitis, cursan con presencia de bacterias como Porphyromonas gingivalis o Tanerella forsythia, lo que aumenta los marcadores proinflamatorios, pudiendo aumentar el riesgo de diseminación de dichas bacterias, lo que en pacientes con antecedentes de enfermedad cardiovascular o prótesis articulares entre otros (1,3,4), puede desencadenar una endocarditis infecciosa (EI).

La EI es una patología poco frecuente que puede comprometer la vida del paciente (4,5) en la cual existe una infección del endocardio, particularmente de las válvulas cardiacas (4). Dicha infección puede ser causada por un amplio espectro de bacterias que acceden a la circulación sanguínea. La procedencia de esas bacterias puede ser diversa; si bien, existe una conocida relación entre los patógenos orales y la EI (3) según la cual, los microorganismos orales pueden migrar al organismo y adherirse a lesiones preexistentes. Esto puede ocurrir durante actos cotidianos como masticar o lavarse los dientes o tras un tratamiento odontológico (3, 6) si bien, los procedimientos dentales se consideran de bajo riesgo (1). (Figura 1)

PROFILAXIS ANTIBIÓTICA 12 eldentistamoderno septiembre 2023
u Contacto dra.anaboquete@gmail.com Figura 1: la boca es una cavidad séptica cuyos patógenos pueden diseminar al organismo fácilmente.

Es por ello que se considera importante administrar profilaxis antibiótica en pacientes de riesgo previamente a aquellos procedimientos que puedan causar una bacteriemia secundaria al mismo (3,5). No solo los pacientes con antecedentes cardiovasculares son de riesgo elevado. Otras patologías como la anemia de células calciformes suponen un mayor riesgo de infecciones de origen dental que la población general, motivo por el cual se recomienda realizar profilaxis antibiótica en estos pacientes, antes de someterse a un tratamiento odontológico invasivo o quirúrgico (7).

La profilaxis antibiótica consiste en la administración de medicación antibiótica previa a ciertos tratamientos dentales, con el fin de evitar la propagación bacteriana a nivel sistémico y evitar complicaciones en pacientes médicamente comprometidos.

Las infecciones odontogénicas representan el 10% de las prescripciones antibióticas. A pesar de la reconocida frecuencia e importancia de estas, llama la atención la frecuente confusión entre profilaxis y tratamiento. (8)

Durante años, la Asociación Americana de Cardiología (AHA) ha recomendado la profilaxis antibiótica previa al tratamiento dental en pacientes con antecedentes de patología cardíaca (9) en los que se prevea daño o laceración de la mucosa, el tejido gingival o el área periapical del diente (6,10), como puede ser un raspado radicular o un tratamiento quirúrgico (5).

La profilaxis de EI es una intervención fundamentada sobre escasas pruebas (consenso de expertos: nivel de evidencia C) (11). Este hecho, unido al aumento de resistencias a los antibióticos, ha llevado a diversas asociaciones médicas a revisar sus indicaciones y limitar su uso a las siguientes dos situaciones (9):

1 Pacientes con alto riesgo de padecer EI.

2 Realización de un procedimiento considerado de alto riesgo de bacteriemia.

Las pautas de profilaxis antibiótica han sido ampliamente aplicadas a nivel mundial, sin embargo, la evidencia de su utilidad y eficacia se limita a estudios de casos y controles, no habiendo publicaciones de mayor rigor científico como ensayos clínicos aleatorizados (4). Dicho esto, existen resultados controvertidos acerca de la magnitud preventiva de EI que tiene la profilaxis antibiótica (5). Además, a pesar de ser un procedimiento bien conocido por los

profesionales de la odontología ya desde sus años de estudiantes en la universidad, a menudo, se produce una deliberada prescripción de antibióticos en pacientes que realmente no la precisan.

La AHA, la Sociedad Europea de Cardiología y otras entidades científicas mundiales han publicado guías sobre las pautas de profilaxis antibiótica (9,12). Estas guías se actualizan periódicamente y pueden contener informaciones contradictorias, lo que puede generar confusión o dificultad en los profesionales a la hora de saber qué protocolo aplicar.

El objetivo de este artículo es exponer de manera concisa, clara y actualizada cuándo es necesaria y cómo ha de pautarse la profilaxis antibiótica para prevenir la EI derivada de un tratamiento dental, con el fin de hacer un uso adecuado de los antibióticos en la práctica clínica diaria.

Material y métodos

Se realizó una búsqueda bibliográfica en junio de 2023 en la base de datos pubmed para lo cual se empleó la siguiente estrategia de búsqueda: “Antibiotic Prophylaxis”[Mesh] AND “dental treatment”. Se aplicó el filtro de máximo 5 años de antigüedad para las publicaciones consultadas. Además, se incluyó el criterio “idioma: inglés” como criterio de inclusión.

Así, los criterios de inclusión fueron:

• Artículos referentes a profilaxis antibiótica y su relación con el tratamiento odontológico y disponibles full-text

• Artículos publicados en los últimos 5 años.

• Artículos publicados en inglés.

Por el contrario, los criterios de exclusión fueron los siguientes:

 Artículos no relacionados con el tema principal a tratar.

 Artículos con más de 5 años de antigüedad.

 Artículos publicados en un idioma diferente al inglés.

 Artículos no disponibles a texto completo.

Resultados

La búsqueda electrónica inicial al aplicar la estrategia de búsqueda proporcionó 132 resultados. Tras aplicar el criterio de antigüedad (5 años) se redujeron los resultados a 13. Se realizó entonces un screening de los abstract.

Uno de los artículos fue eliminado por no estar disponible para su consulta a texto completo.

13 eldentistamoderno septiembre 2023
Dra. Ana Boquete Castro DDS, MDS, PhD. Práctica privada en cirugía oral e implantología. Vocal del Ilustre Colegio Oficial de Dentistas de Almería. Directora científica de Mindbreak®. Dr. Stevens Salva Sutherland MD, MsC, EDAIC. Servicio de anestesia y reanimación, Hospital Universitario Vall d´ Hebrón. Barcelona. Coordinador médico de OBA sedaciones.

revisión de la literatura

Finalmente, 9 artículos se analizaron en profundidad para llevar a cabo el presente trabajo. De acuerdo con la evidencia científica disponible, la indicación de profilaxis antibiótica se basará en dos criterios:

IDENTIFICACIÓN SELECCIÓN ELECCIÓN INCLUSIÓN

1. La existencia de una patología previa que implique un alto riesgo de padecer EI (Tabla 1).

2. El procedimiento a realizar (Tabla 2).

“Antibiotic Prophylaxis” [Mesh] AND “dental treatment” (n= 132)

Filtro 5 años (n= 13), filtro inglés (n=10)

Artículos no disponibles a texto completo (n= 1)

Artículos analizados (n= 9)

Pacientes con cualquier tipo de válvula protésica, incluso transcatéter, o en los que se haya usado algún tipo de material protésico para reparación valvular cardiaca

Pacientes con un episodio de EI previo

Pacientes con cardiopatía congénita (CC):

• Cualquier forma de CC cianótica

• Cualquier forma de CC reparada con material protésico, ya fuere quirúrgica o percutáneamente, hasta 6 meses tras el procedimiento o de por vida si queda shunt residual o insuficiencia valvular.

La profilaxis antibiótica no está recomendada para otros tipos de valvulopatía o CC

Recomendación: IIa

Evidencia: C

Recomendación: IIa

Evidencia: C

Recomendación: IIa

Evidencia: C

Recomendación: III

Evidencia: C

PROCEDIMIENTOS EN LOS QUE SÍ SE RECOMIENDA PROFILAXIS

Todos los procedimientos odontológicos que conlleven manipulación del tejido gingival, región periapical del diente o perforación de la mucosa oral.

PROCEDIMIENTOS EN LOS QUE NO SE RECOMIENDA PROFILAXIS

Maniobras de restauración con o sin retracción gingival.

Anestesia rutinaria.

Inyecciones a través de tejido no infectado.

Toma de radiografías dentales.

Colocación y extracción de aplicaciones ortodóncicas y postortodónticas.

Cementado de brackets.

Extracción de un diente dañado, no infectado.

Obturación de conducto radicular y su posterior reconstrucción.

Sangrado y trauma de labios y mucosa oral.

Colocación de dique de goma.

Remoción de suturas y topicaciones con flúor.w

PROFILAXIS ANTIBIÓTICA 14 eldentistamoderno septiembre 2023
Tabla 1: Pacientes con alto riesgo de EI a considerar profilaxis antibiótica y nivel de evidencia asociado (11). Tabla 2: Procedimientos en los que se recomienda profilaxis y en los que NO se recomienda profilaxis antibiótica. Fuente: elaboración propia. Flow chart de la estrategia de búsqueda y método de selección de artículos.
SITUACIÓN CLÍNICA NIVEL DE RECOMENDACIÓN Y EVIDENCIA

Las situaciones clínicas que propiciarían la indicación de profilaxis son (4,12-14):

• Historia de endocarditis infecciosa previa.

• Presencia de válvula cardíaca.

• Enfermedad cardiaca congénita cianótica.

• Trasplante cardiaco con regurgitación valvular por una válvula anormal.

• Alteración de válvula cardiaca con estenosis o regurgitación.

• Miocardiopatía hipertrófica.

• Enfermedad cardiaca estructural congénita reparada con algún material protético (excluye defecto aislado del septo atrial, septo ventricular reparado completamente o ductus arterioso reparado completamente).

Otros estudios aconsejan también el uso de profilaxis antibiótica, en pacientes con tetralogía de Fallot (15). En el caso de pacientes con inmunodeficiencias severas, la profilaxis antibiótica es necesaria pero además debe acompañarse de otras medidas preventivas adicionales, como el uso de inmunoglobulinas intravenosas (11); si bien, estos pacientes, por su alto riesgo de complicaciones infecciosas suelen tratarse a nivel hospitalario, no en la clínica odontológica habitual.

A continuación, se detalla la pauta antibiótica de profilaxis actualizada para el año 2023, tanto en adultos como en niños y las alternativas si no se dispone de la vía oral o si presenta alergia a la penicilina. Siempre debe usarse una dosis única previa al procedimiento.

Pautas de profilaxis (11): Paciente sano y no alérgico:

• Adultos: Amoxicilina 2 gr oral 1 hora antes del procedimiento.

• Niño: Amoxicilina 50 mg/kg oral 1 hora antes del procedimiento.

Paciente sin posibilidad de usar vía oral:

• Adulto: ampicilina 2 gr IV/IM 30 min antes procedimiento

• Niño: ampicilina 50 mg/Kg IV/IM 30 min antes procedimiento.

Alérgicos a penicilina:

• Adulto: cefalexina 2 gr oral o clindamicina 600 mg oral 1 hora antes del procedimiento.

• Niño: cefalexina 50 mg/Kg vía oral o clindamicina 20 mg/Kg oral 1 hora antes del procedimiento.

También se ha descrito el uso de macrólidos:

- Azitromicina 500 mg 1 hora antes del procedimiento en niños 15 mg/kg;

- Claritromicina 500 mg 1 hora antes del procedimiento, en niños 15 mg/kg.

Discusión

La AHA recomienda considerar prescribir profilaxis antibiótica solo en aquellos casos en que se vaya a manipular el complejo dentogingival y se trate de pacientes con alto riesgo de complicaciones (6,9).

La prescripción de amoxicilina con ácido clavulánico no es recomendada por la AHA; su prescripción se considera una sobreprescripción innecesaria (9). En este sentido, Sharif et al. (10) analizaron durante 6 años a 210 pacientes con patología cardíaca de base que precisaban tratamiento dental. Los autores reportaron que se produjo una prescripción de amoxicilina con ácido clavulánico en el 34,7% de pacientes analizados, a pesar de no ser la pauta recomendada por la AHA. Los autores hacen énfasis en la necesidad de que los odontólogos conozcan las pautas y protocolos actualizados de prescripción de profilaxis antibiótica.

Otros autores llegan a afirmar que los dentistas se sienten más seguros prescribiendo antibióticos a pesar de no tener una evidencia científica sólida que lo apoye (5), sin embargo, esto conduce a un mal uso y abuso de los antibióticos que es clave aprender a limitar.

Hatz et al. (3) realizaron una revisión sistemática para actualizar la pauta de profilaxis antibiótica recomendada para prevenir EI en pacientes con alto riesgo cardiovascular que se sometían a tratamiento periodontal. Observaron que los pacientes con gingivitis y periodontitis tienen un espectro de microorganismos más amplio que los pacientes sanos, lo que, sumado al sangrado gingival existente, incrementaría las posibilidades de sufrir una bacteriemia (3).

Puesto que el espectro de microorganismos que puede haber a nivel de la cavidad oral hace que la profilaxis con amoxicilina puede resultar insuficiente como mecanismo preventivo, se recomienda aplicar otras medidas adicionales (3):

• Enjuagues regulares con clorhexidina 0,12% o povidona yodada 7,5%/10% (permiten reducir el recuento bacteriano hasta un 75%).

15 eldentistamoderno septiembre 2023

revisión de la literatura

• Uso de láser de diodo durante el tratamiento periodontal.

• Mejora de la higiene oral por parte del paciente. Thornhill et al. (4) analizaron si existe correlación entre la realización de un tratamiento dental y la consiguiente aparición de EI, sin embargo, los autores no pudieron demostrar una asociación temporal clara entre el tratamiento dental y la aparición de un episodio de EI.

Por su parte, Sung et al. (5) realizaron el seguimiento de 295.915 pacientes que fueron sometidos a cirugía de médula espinal y analizaron los tratamientos dentales a los que dichos pacientes fueron sometidos en el año posterior a dicha cirugía. En este trabajo, los autores concluyeron que ser sometido a un tratamiento dental no aumentaba de manera significativa el riesgo de infección de la zona intervenida en los dos años posteriores a la intervención. Los autores por tanto concluyeron que los pacientes que vayan a ser sometidos a cirugía de médula espinal no deben evitar el tratamiento dental y, al realizarlo, no precisarán profilaxis antibiótica. Dicha profilaxis deberá limitarse a pacientes con afectación cardiaca preexistente, concretamente, historia de endocarditis, enfermedades cardíacas congénitas y presencia de prótesis valvulares. Es importante destacar que la incidencia de EI es baja tras un tratamiento odontológico y se ha re-

Bibliografía

1. Samulak-Zielinska R, Dembowska E, Lizakowski P. Dental treatment of post-myocardial infarction patients: A review of the literature. Dent Med Probl. 2019 JulSep;56(3):291-298. doi: 10.17219/dmp/109232.

2. Review on Antimicrobial Resistance. Tackling drug-resistant infections globally. Chaired by Jim O’Neill. Disponible en: https://amr-review.org/. Accessed 24/8/2023).

3. Hatz CR, Cremona M, Liu CC, Schmidlin PR, Conen A. Antibiotic prophylaxis with amoxicillin to prevent infective endocarditis in periodontitis patients reconsidered: a narrative review. Swiss Med Wkly. 2021 Dec 10;151:w30078. doi: 10.4414/smw.2021.w30078.

4. Thornhill MH, Crum A, Rex S, Campbell R, Stone T, Bradburn M, et al. Infective endocarditis following invasive dental procedures: IDEA case-crossover study. Health Technol Assess 2022;26(28).

5. Sung S, Kim EH, Kwon JW, Lee JS, Lee SB, Moon SH, Lee HM, Jung I, Lee BH. Invasive dental procedures as risk factors for postoperative spinal infection and the effect of antibiotic prophylaxis. J Clin Periodontol. 2021 Sep;48(9):1270-1280. doi: 10.1111/jcpe.13514.

6. Herrick KR, Terrio JM, Herrick C. Medical Clearance for

portado un riesgo de muerte por EI tras el tratamiento dental inferior al 1% tras 30 días (1).

A pesar de la dificultad para establecer un vínculo claro entre el tratamiento dental y la EI, diversos autores aseveran que una adecuada higiene oral y la consiguiente reducción de inflamación a nivel oral, resulta fundamental como factor de prevención de EI y como factor para minimizar el agravamiento de la patología cardíaca existente (1,4,7). El uso de antibióticos de mayor espectro no se encuentra justificado, ya que el beneficio a obtener sería mínimo en comparación con los efectos secundarios y el aumento de resistencias bacterianas que supondría (3).

Conclusiones

Además, la literatura revisada resalta la controversia existente en relación con la efectividad y necesidad de la profilaxis antibiótica para reducir el riesgo de EI.

Es fundamental que la comunidad odontológica tome conciencia del aumento en el número de microorganismos de la cavidad bucal resistentes a los antibióticos debido a la incorrecta indicación de profilaxis y a la confusión entre lo que es tratamiento y lo que es la profilaxis per se. Es por ello por lo que establecer claros criterios y abordar este tema es de gran relevancia y actualidad. 

Common Dental Procedures. Am Fam Physician. 2021 Nov 1;104(5):476-483.

7. Gusmini MADS, De Sa AC, Feng C, Arany S. Predictors of dental complications post-dental treatment in patients with sickle cell disease. Clin Exp Dent Res. 2021 Feb;7(1):11-19. doi: 10.1002/cre2.335. Epub 2020 Nov 22.

8. Suda K, Calip G, Zhou J, Rowan S, Gross A. Assessment of the Appropriateness of Antibiotic Prescriptions for Infection Prophylaxis Before Dental Procedures, 2011 to 2015. JAMA Netw Open. 2019;2(5):e193909. doi:10.1001/jamanetworkopen.2019.3909

9. Wilson W, Taubert KA, Gewitz M, et al. Prevention of Infective Endocarditis: Guidelines from the American Heart Association. Circulation 2008; 9: 1737-1753.

10. Sharif JM, Raja Shahardin RZ, Sockalingam G. Pattern of antibiotic prophylaxis practice for dental procedures in children with congenital heart disease. J Indian Soc Pedod Prev Dent. 2020 Apr-Jun;38(2):126-131. doi: 10.4103/JISPPD.JISPPD_235_18.

11. Manterola C, Asenjo-Lobos C, Otzen T. Jerarquización de la evidencia: Niveles de evidencia y grados de recomen-

dación de uso actual. Rev. chil. infectol. [online]. 2014, vol.31, n.6, pp.705-718. ISSN 0716-1018. http:// dx.doi.org/10.4067/S0716-10182014000600011.

12. David N. Gilbert, Henry F. Chambers, Michael S. Saag, Andrew T. Pavia, Helen W. Boucher. Sperryville, VA, The Sanford guide to antimicrobial therapy 2023. USA: Antimicrobial Therapy, Inc., [2023]

13. NICE Short Clinical Guideline Technical Teams. Prophylaxis Against Infective Endocarditis: Antimicrobial Prophylaxis Against Infective Endocarditis in Adults and Children Undergoing Interventional Procedures London: NICE Clinical Guideline 64. National Institute for Health and Clinical Excellence; 2008

14. ESC Guidelines for the management of infective endocarditis (2015). The Task Force for the Management of Infective Endocarditis of the European Society of Cardiology (ESC). European Heart Journal (2015) 36, 3075–3123

15. Jayaraman J. A Child with Tetralogy of Fallot Presents for Extraction of Mandibular Premolars. Dent Clin North Am. 2023 Jul;67(3):415-417. doi: 10.1016/j. cden.2023.02.008.

PROFILAXIS ANTIBIÓTICA 16 eldentistamoderno septiembre 2023

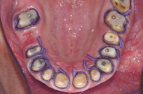
BOPT: CONCEPTO, ANTECEDENTES HISTÓRICOS Y PRINCIPIOS BÁSICOS CLÍNICOS

La técnica BOPT ha generado un gran interés desde su introducción en prostodoncia por su influencia sobre los tejidos periodontales y por proporcionar estabilidad a largo plazo a los mismos. Uno de los aspectos que generan más interés en dicha técnica es la posibilidad de conseguir la migración coronal del margen gingival, si es preciso. El autor de la técnica describe en este artículo su origen y el concepto que la define. Conocer los antecedentes históricos puede ayudar a comprender mejor el concepto y los principios básicos de su ejecución. Asimismo, el autor define los principios básicos clínicos de BOPT para que cualquier odontólogo pueda aplicar la técnica de una manera simple y predecible. Se describen también los pasos clínicos, material necesario y protocolo del laboratorio para la realización de esta técnica.

BOPT, concepto

Artículo cedido por

BOPT es el acrónimo en inglés de Biologically Oriented Preparation Technique (Loi y di Felice 2013). Es una técnica de rehabilitación protética que combina la preparación del diente sin línea de terminación con la colocación de una corona provisional inmediata. Ambos procedimientos presentan unas características propias que los distinguen de la técnica tradicional.

El concepto BOPT consiste en devolver la estética, la función masticatoria y la función homeostática al diente restaurado.

La técnica estándar (con línea de terminación) apunta únicamente a restituir la estética y la función masticatoria sin tener en cuenta el espacio y el estímulo de remodelación de los tejidos que se produce durante la masticación (homeostasis).

Por un lado, mientras se realiza la preparación o tallado sin margen, se desepiteliza (gingitage) el surco gingival para permitir la regeneración tisular sin levantamiento del colgajo (Rodríguez y cols. 2019; Tupac y Neacy 1981).

Por otro lado, la corona provisional y la definitiva tienen una emergencia que imita la emergencia natural de la corona anatómica del diente restaurado.

La colocación inmediata de la corona provisional mantiene la cámara biológica o espacio cervical alrededor del diente y preserva el coágulo formado

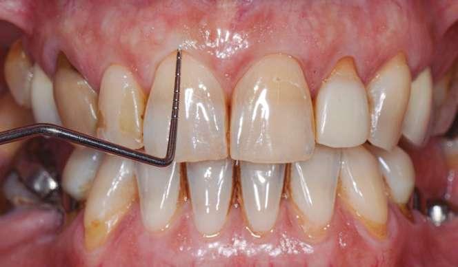
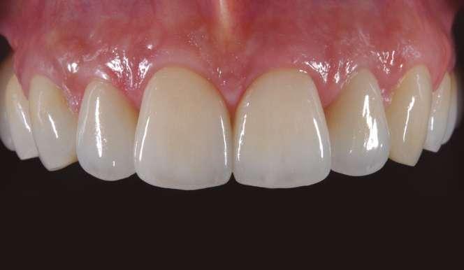
gracias a la desepitelización del surco gingival. Esta sistemática favorece la correcta cicatrización a corto plazo con la corona provisional y el engrosamiento de los tejidos con la corona definitiva con el paso del tiempo (Figura 1) (Carnevale y cols. 1983).

Antecedentes históricos y futuro

La técnica BOPT, descrita por el Dr. Loi, se da a conocer internacionalmente en 2013, aunque ya se hace referencia a esta técnica en 2008 (Loi 2008; Loi y di Felice 2013; Schätzle y cols. 2001).

Uno de los temas más controvertidos en prostodoncia ha sido la ubicación de la línea de terminación protética y su relación con el margen gingival. Suele relacionarse la recesión gingival con un defecto en la línea de terminación a nivel intrasulcular que genera una respuesta inflamatoria (Schmidt y cols. 2013).

La recesión gingival suele relacionarse a un ajuste incorrecto de la corona con la línea de terminación marcada durante la preparación; el desajuste se describe en términos de sobrecontorno e infracontorno (según la visión y la experiencia del autor, el sobrecontorno no tiende a ser una etiología primaria de la recesión mientras enfatiza el papel perjudicial del infracontorno).

Vale la pena destacar el marco histórico del origen de BOPT. El diente es la única parte del cuerpo hu-

caso clínico BOPT 18 eldentistamoderno septiembre 2023
u Contacto Ignazio Loi loi.ignazio12@gmail.com

mano que atraviesa un epitelio. Esta característica hace que el aparato de unión transmucoso sea el factor clave para la salud periodontal y la supervivencia del diente. En un principio esta área anatómica no tenía una consideración específica más allá de considerarse el área periodontal. Posteriormente, en los años sesenta, esta estructura anatómica toma más relevancia y pasa a denominarse “espacio biológico”. Esta unidad anatómica está formada por un surco gingival queratinizado, un epitelio de unión (no queratinizado, adherido) y un tejido conectivo (insertado) (Ross y cols. 1983). Se le atribuyen unas dimensiones de media aritmética de 0,69 mm, 0,97 mm y 1,07 mm respectivamente. En ese estudio se pone de manifiesto también que el epitelio de unión es la estructura anatómica tisular que tiene mayor variabilidad y que es el tejido conectivo el que tiene unas dimensiones más constantes. No sería hasta 2013 que tras una revisión sistemática de las dimensiones del espacio biológico se pone de manifiesto que no existe un número mágico ni es recomendable considerar una media aritmética que enmascare la situación clínica de cada paciente (Ross y Garguilo 1982).

En la década de 1980 se realizan una serie de estudios en los que se denomina RAI (Restorative Alveolar Interface) a esa misma área que incluye también el tejido conectivo y todo el surco gingival (Martignioni 1987; Wagman 1965). El concepto de RAI tiene un enfoque menos dimensional y más biológico. La preparación del diente se realizaba en filo de cuchillo y a cielo abierto, y cabe destacar que realizando este tipo de preparaciones se apreciaba, en ocasiones, un crecimiento radiológico de la cresta alveolar en contacto con el diente tratado (Martignioni 1987). Los análisis histológicos de ese tipo de preparaciones no evidenciaron inflamación transmucosa (Wagman 1965).

Tras un breve contacto con el Dr. Gargiulo, el Dr. Loi inicia un tipo de preparación similar a la realizada por el grupo de Chicago en la que cabía destacar dos modificaciones. La primera consistía en no levantar ningún colgajo durante la preparación del diente y, la segunda, en la colocación de una corona provisional el mismo día de la preparación. Tras más de 20 años de práctica clínica con esta técnica propia se realizaron varias publicaciones donde se describían los pasos necesarios para realizar esta técnica con éxito (Loi 2008; Loi y di Felice 2013; Schätzle y cols. 2001). El autor interpreta el espacio transmucoso de manera diferente a los anteriormente descritos y define el “polígono biológico”. El “polígono biológico” es el espacio comprendido entre una hipotética línea de prolongación o tangente de la cara vestibular de la preparación del diente y la tangente vestibular de la corona (Figura 2).

Cuanto mayor sea el componente angular de la emergencia, mayor será el espacio creado para estimular (hacer crecer) el tejido conectivo y aumentar así el grosor del mismo. Este concepto está en

19 eldentistamoderno septiembre 2023
SEPA-DM
Ignazio Loi MD, DDS. Práctica privada en Cagliari, Italia. Tommaso Caivano DDS, Msc. Práctica privada en Barcelona y Milán (Italia). Xavier Rodríguez MD, PhD. Práctica privada en Barcelona, España.
1
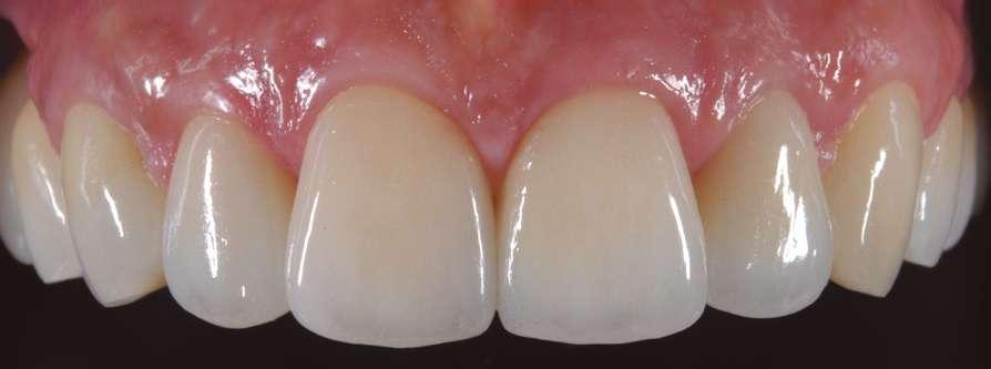
Figura 1. Coronas BOPT definitivas. Arcada completa sobre dientes preparados con técnica BOPT: 1 año después de la cementación definitiva. Destaca la salud y el festoneado gingival con ausencia de espacios (triángulos negros).

caso clínico

BOPT queda avalada de manera clínica, radiológica e histológica. A pesar de esto, hace falta realizar más estudios para contrastar estos resultados. Relacionadas con la respuesta tisular al aplicar la técnica BOPT, el autor describe también otras posibilidades de tratamiento basadas en los mismos principios y con otras aplicaciones clínicas, como son las carillas BOPT y BOPT restaurativo. Ambos tratamientos están encaminados a mejorar la estética y la función dental.

Principios básicos clínicos

consonancia con la respuesta tisular tras la colocación de una corona descrita por Wagman (1965) como “ala de gaviota”. Este concepto relaciona la emergencia de la corona con la forma y grosor del tejido a nivel cervical del diente. Después de evidenciar la buena respuesta clínica y radiológica de los tejidos quedaba por demostrar los cambios histológicos tras aplicar la técnica, para validar la BOPT. En la década de 2010, el Dr. Loi entra en contacto con el grupo de investigación BORG (Barcelo Osseointegration Research Group), con los doctores Xavi Vela y Xavi Rodríguez, para buscar un razonamiento biológico a esta técnica. Tras años de colaboración se realiza un estudio que revela que existe una regeneración del cemento radicular a nivel coronal y una nueva inserción de las fibras de tejido conectivo en la zona tratada del diente con la técnica BOPT (Rodríguez y cols. 2019). A partir de ese momento, la técnica

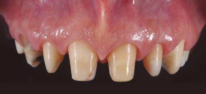
A continuación, se especifican los conceptos y pasos a seguir para la correcta realización de la técnica. La técnica BOPT se basa en la “dominancia de las formas”. Este principio considera que según la forma que tenga la corona anatómica o corona protética se obtendrá una respuesta tisular diferente (Figura 3). Para la ejecución de esta técnica se requiere tener una visión clara sobre la importancia de la forma de la restauración en la parte transmucosa, además de seguir un protocolo bien definido. Por este motivo, es de crucial importancia disponer previamente a la realización de esta técnica de todo el material necesario tanto para la preparación del muñón como de la corona. El primer paso para realizar la técnica BOPT consiste en realizar un encerado diagnóstico y la elaboración de una restauración provisional en cáscara de huevo. La característica más importante que debe tener este provisional es que, bien posicionado, esté en línea o tome contacto con el margen gingival para facilitar el rebase. En las situaciones donde exista recesión, esta cascarilla también debe alcanzar el margen gingival que, 4 semanas después de la maduración de los tejidos, será acortada para permitir la reposición coronal de la encía.

BOPT 20 eldentistamoderno septiembre 2023
2 3 4
Figura 2. Representación gráfica del “polígono biológico”. Izquierda: dibujo esquemático del área cervical de una restauración BOPT. Centro: silueta del “polígono biológico” de un fenotipo fino como consecuencia de una restauración con un componente angular poco pronunciado. Derecha: silueta del “polígono biológico” de un fenotipo grueso como consecuencia de una restauración con un componente angular muy pronunciado. Figura 3. Situación inicial. Se aprecian recesiones gingivales, decoloraciones, restauraciones filtradas. Figura 4. Fotografía de las fresas de 120 μ (verde) - 40 μ (rojo) – 20 μ (amarillo).

Por otro lado, las fresas para la preparación dental tendrán un tamaño de partícula decreciente: 120 µ - 40 µ – 20 µ (Figura 4).

Tras aplicar la anestesia local se realiza un sondaje (mapeado intrasulcular) para evidenciar a qué nivel se encuentra el epitelio de unión (Figuras 5 y 6). Este sondaje también puede evidenciar irregularidades del diente a nivel transmucoso. Posteriormente, se realiza la remoción de la corona antigua y la preparación del muñón o bien el tallado del diente natural. En caso de realizar el tallado del diente natural, primero se realizará el tallado a nivel supragingival. Una vez se haya preparado el diente a nivel supragingival se procederá al tallado infragingival.

La técnica de elección para la preparación dental sin margen sigue los principios de la técnica de “tallado inclinado” de Martignioni (1987) (Figuras 7 y 8).

Es muy importante asegurarse de que no existen escalones transmucosos tras el tallado ya que podrían suponer un fracaso de la técnica. Después de realizar el tallado supragingival, se procede al tallado subgingival. En esta fase es conveniente prestar especial atención a la inclinación de la fresa, ya que el objetivo principal de esta fase es el tallado subgingival del diente y de forma indirecta la desepitelización tisular (Figura 9).

Terminada la preparación y el pulido con discos y gomas del diente se da paso a la fase de rebasado del provisional (Figura 10).

El primer paso de la fase de rebasado consiste en comprobar el correcto ajuste del provisional eliminando cualquier interferencia. Se comprueba que la cascarilla esté en línea y tome contacto con el margen gingival para facilitar el rebase de la misma (Figuras 10 y 11).

A continuación, se rellena el provisional con acrílico previamente mezclado con la técnica “sal y pimienta” y se lleva a boca: mientras una parte del acrílico fluye en el surco, otra fluirá sobre la encía vestibular. Se deja endurecer. Se crea así un espacio cóncavo comprendido entre la resina acrílica endurecida en el surco y el derrame de resina por vestibular endurecido sobre la encía. En otras palabras, es el negativo de la encía marginal; es decir, una impresión del surco gingival y de los tejidos alrededor.

Este paso es característico y único de la preparación BOPT ya que la diferencia de las técnicas convencionales (Figuras 10 y 12).

A continuación, se retira el provisional y se rellena la concavidad con acrílico. Una vez endurecida la resina, es el momento de conformar el provisional. Seguidamente, se retoca la prótesis desde la momentánea “línea de terminación” del rebase (marcada en lápiz en la Figura 13) hasta la zona de emergencia del provisional (cascarilla), y se confor-

21 eldentistamoderno septiembre 2023
5 6
Figura 5. Mapeado intrasulcular. Figura 6. Esquema gráfico de los pasos previos al tallado.

caso clínico

ma la estructura creando un nuevo perfil de emergencia (Figuras 10 y 13).

Se coloca el provisional de nuevo en boca y se marca con un lápiz el margen gingival en todo el perímetro para comprobar que la terminación de la corona no sobrepasa 0,5 mm subgingival: esta será la “línea de terminación” final del provisional. La forma que adquiere la corona provisional es convexa y ovoidea para que estabilice y retenga el coágulo formado en el surco. Tal como se ha comentado, la corona no penetrará más allá de 0,5 mm subgingivalmente. Posteriormente, se realiza un cuidadoso pulido del margen y se cementa con cemento provisional (Figuras 10 y 14); se comprueba la oclusión.

BOPT 22 eldentistamoderno septiembre 2023
7
8 9
Figura 7. Secuencia de tallado: 1. Interproximal supragingival; 2. Oclusal; 3. Tallado inclinado; 4. Vestibular supragingival; 5. Palatino supragingival; 6. Subgingival y gingitage; 7. Subgingival y gingitage en todo el perímetro; 8. Conicidad y alisado; 9. Pulido. Figura 8. Preparación BOPT de todos los elementos dentales superiores. Se aprecia desepitelización sulcular y ligero sangrado causado por el gingitage. Destaca la conicidad de los muñones y el tallado sin línea de terminación. Figura 9. Representación gráfica del gingitage

La corona provisional permanecerá en boca y no se retirará durante por lo menos hasta las 4 semanas (Figura 15).

Si, tras la cicatrización, el margen gingival es el adecuado y no se han de realizar cambios en los márgenes gingivales, se tomarán las impresiones a las 4 semanas de la preparación (Figuras 16 y 17). En caso de necesitar corregir coronalmente el margen gingival, se deben realizar los siguientes pasos: Se retira el provisional y el cemento de la restauración. Se dibuja en la corona provisional el margen gingival del diente de referencia contralateral. Acto seguido, se elimina la parte correspondiente entre la línea dibujada por vestibular y la línea de terminación del provisional, generando el espacio necesario a la encía para migrar coronalmente.

Para modificar el margen gingival hacia apical se deben realizar los siguientes pasos: Se aumenta la aspereza del margen de la corona con un disco rugoso. Se desplaza apicalmente la

23 eldentistamoderno septiembre 2023
10
11 12
Figura 10. Esquema gráfico de la técnica en la fase de rebase. Figura 11. Cáscara de huevo. Comprobación de ajuste de la cáscara de huevo: el margen debe estar en línea o tomar contacto con la encía. Figura 12. Rebase. Se llenan las cascarillas con resina acrílica. El material fluirá dentro del surco y por vestibular registrando la forma gingival.

caso clínico

encía no adherida, se inyecta composite fluido en el espacio generado entre el borde de la corona y la encía hasta que la corona tenga el perfil deseado. Finalmente, se pule y se cementa. Tras realizar las modificaciones sobre la corona provisional para obtener el margen adecuado, se debe esperar unas semanas antes de tomar las impresiones definitivas. Estas se realizan colocando un primer hilo “3/0” para profundizar en el surco y un segundo hilo “0” (Figura 18).

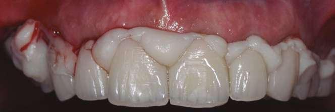
Tras la colocación de la prótesis, con el paso del tiempo, se podrá ver que los tejidos continúan remodelándose y adaptándose a la forma de las coronas definitivas. Con el paso de los meses, no solo se rellenarán las troneras de la prótesis sino que, a diferencia de la prótesis convencional, el margen gingival se engrosará y adquirirá la silueta de “ala de gaviota”. Este remodelado de los tejidos refleja el equilibrio u homeostasis de los tejidos que se lleva a cabo con las rehabilitaciones con la técnica BOPT (Figuras 19 y 20).

BOPT 24 eldentistamoderno septiembre 2023
Figura 13. Cascarilla provisional rebasada. Relleno de la concavidad con técnica “sal y pimienta”
13 14 15
Figura 14. Pulido de los márgenes. El pulido ha de ser minucioso ya que la prótesis actúa como andamiaje para que el tejido blando cure sobre ella. Figura 15. Curación del tejido blando a la semana de la preparación. Es posible notar ausencia de inflamación, aspecto sano de la encía.
25 eldentistamoderno septiembre 2023 17 19 16 18
Figura 16. Surco gingival pasadas las 4 semanas de curación. Se nota un importante ribete de encía en los 360° de los dientes preparados. Figura 18. Toma de impresiones definitivas. Técnica de doble hilo. Figura 17. Los provisionales guían el crecimiento y la remodelación de la encía. Destaca la ocupación parcial de la papila durante la cicatrización. Figura 19. Cementación definitiva de la prótesis. Simetría de las parábolas gingivales y salud periodontal. Destaca como la encía todavía tiene que conformarse con la nueva forma de los definitivos, similares a los provisionales. Se observan espacios interdentales en crecimiento.

caso clínico

Conclusiones

BOPT es una técnica protética que permite recrear la forma y función de la anatomía natural del diente.

La función de la corona BOPT se basa en la “dominancia de las formas”. Todo cambio en la forma de la corona producirá un cambio en los tejidos.

Es posible modificar el margen gingival hacia coronal o hacia apical mediante el manejo de la prótesis provisional.

Los cambios originados en la encía y el papel biológico ejercido por la corona favorecen el engrosamiento de los tejidos con el paso del tiempo. 

RELEVANCIA CLÍNICA

La técnica BOPT es un procedimiento realizado por el prostodoncista que, además de contemplar la realización de la prótesis, puede mejorar la respuesta de los tejidos periodontales. La relevancia clínica de esta técnica se hace evidente al observar la respuesta de los tejidos alrededor de la restauración. Es crucial destacar que para la realización de una corona definitiva BOPT se precisa trabajar en estrecha colaboración con el laboratorio y que ambos, odontólogo y técnico, deben conocer los criterios clínicos y técnicos. Al aplicar esta técnica, no solo se actúa sobre la estabilidad tisular y la respuesta clínica a corto plazo, sino también a largo plazo.

Resumen

La técnica BOPT ha generado un gran interés desde su introducción en prostodoncia por su influencia sobre los tejidos periodontales y por proporcionar estabilidad a largo plazo a los mismos. Uno de los aspectos que generan más interés en dicha técnica es la posibilidad de conseguir la migración coronal del margen gingival, si es preciso. El autor de la técnica describe en este artículo su origen y el concepto que la define. Conocer los antecedentes históricos puede ayudar a comprender mejor el concepto y los principios básicos de su ejecución. Asimismo, el autor define los principios básicos clínicos de BOPT para que cualquier odontólogo pueda aplicar la técnica de una manera simple y predecible. Se describen también los pasos clínicos, material necesario y protocolo del laboratorio para la realización de esta técnica.

Bibliografía

Carnevale G, Sterrantino SF, Di Febo G. (1983) Soft and hard tissue wound healing following tooth preparation to the alveolar crest. The International Journal of Periodontics & Restorative Dentistry 3, 36-53.

Loi I, di Felice A. (2013) Biologically oriented preparation technique (BOPT): A new approach for prosthetic restoration of periodontically healthy teeth. The European Journal of Esthetic Dentistry 8, 10-23.

Loi I, Scutellà F, Galli F. (2008) Tecnica di preparazione orientata biologicamente ( BOPT ). Un nuovo approccio nella preparazione protesica in odontostomatologia. Quintessence International 24, 69-75.

Loi I. (2008) Protesi su denti naturali nei settori di rilevanza

estetica: descrizione tecnica B.O.P.T.; Case series report. Dental Cadmos 76, 51-59.

Martignioni MS. (1987) Precisione e contorno nella ricostruzione protesica. Quintessence International.

Rodríguez X, Vela X, Segalà M, Pérez J, Pons L, Loi I. (2019) Examen histológico humano de la respuesta de los tejidos al tallado vertical y provisionalización inmediata (BOPT). Fundamento biológico. Periodoncia Clínica 5, 47-62.

Ross SE, Garguilo A, Crossetti HW, Phillips DJ. (1983) The surgical management of the restorative alveolar interface (II). The International Journal of Periodontics & Restorative Dentistry 3, 8-19.

Ross SE, Garguilo A. (1982) The surgical management of the restorative alveolar interface. The International Journal of

Periodontics & Restorative Dentistry 2, 8-31.

Schätzle M, Lang NP, Ånerud Å, Boysen H, Bürgin W, Löe H. (2001) The influence of margins of restorations on the periodontal tissues over 26 years. Journal of Clinical Periodontology 28, 57-64.

Schmidt JC, Sahrmann P, Weiger R, Schmidlin PR, Walter C. (2013) Biologic width dimensions - A systematic review. Journal of Clinical Periodontology 40, 493-504.

Tupac RG, Neacy K. (1981) A comparison of cord gingival displacement with the gingitage technique. Journal of Prosthetic Dentistry 46, 509-515.

Wagman SS. (1965) Tissue management for full cast veneer crowns. Journal of Prosthetic Dentistry 15, 106-117.

26 eldentistamoderno septiembre 2023
BOPT
20
Figura 20. Control al año. Se aprecia el continuo cambio de la encía a lo largo del tiempo hacia una estética mejor. Se distingue la salud y el festoneado gingival con espacios interdentales llenos.
27 eldentistamoderno septiembre 2023 Restauración Ortodoncia Implantes Prótesisdental Apneadelsueño DEXIS™ IOS Solutions © 2023 Dental Imaging Technologies Corporation. Todos los derechos reservados. Simplifique los flujos de trabajo Descubra más en dexis.com Solicitar Información

caso clínico

IMPRESIÓN DE CORONAS EN MENOS DE UNA HORA. FLUJO DIGITAL

La impresión 3D ha revolucionado la fabricación dental en los últimos años, proporcionando una solución más precisa, rápida y rentable para la fabricación de prótesis dentales personalizadas. En particular, la fabricación de coronas impresas en 3D ha demostrado ser un proceso altamente eficiente y efectivo en comparación con los métodos de producción tradicionales. En este artículo, presentamos un estudio sobre la fabricación de coronas impresas en 3D utilizando el sistema CLINUX y la inteligencia artificial de diseño de Sprintray. Discutimos cómo estos avances tecnológicos pueden mejorar la precisión, la eficiencia y la calidad de las coronas impresas en 3D.

Materiales y métodos

Para este estudio, se utilizó el software de diseño Sprintray para crear un modelo 3D de una corona dental. Este modelo fue transferido a un sistema de fabricación dental CLINUX, que utiliza la tecnología de impresión 3D para crear una corona dental personalizada.

También podemos utilizar la app de Medit de diseño de coronas.

Para mejorar la precisión del modelo 3D, se utilizó la inteligencia artificial de Sprintray para optimizar el diseño de la corona dental.

La inteligencia artificial analiza la forma y la estructura de la corona dental y proporciona una serie de recomendaciones para mejorar la calidad y la eficiencia del diseño.

Estas recomendaciones incluyen la optimización de la forma, la reducción del grosor de las paredes y la eliminación de las áreas de apoyo innecesarias, así como la forma y disposición de la corona a la hora de imprimir.

Resultados

Los resultados de este estudio muestran que la combinación de la tecnología CLINUX y la inteligencia artificial de Sprintray puede mejorar significativamente la calidad y la eficiencia de las coronas impresas en 3D.

En particular, se encontró que la inteligencia artificial de Sprintray puede mejorar la precisión y la calidad del diseño, mientras que el sistema CLINUX permite una producción más rápida y rentable de las coronas impresas en 3D para el dentista que

puede diseñar e imprimir en su propia clínica con conocimientos anatómicos que pueden ser modificados por el mismo a medida que se va adaptando al contorno dental.

¿Cómo comenzamos?

En primer lugar, el escaneo digital intraoral se realiza para capturar imágenes detalladas de los dientes y las encías del paciente.

28 eldentistamoderno septiembre 2023 IMPRESIÓN 3D
u Contacto www.dentinova.es

Estas imágenes se exportan automáticamente y se procesan en el software Clinux, un programa especializado de diseño dental que permite al odontólogo crear un modelo virtual preciso de la boca del paciente y diseñar una corona dental personalizada o una incrustación ( inlay) .

Este programa permite como en Medit realizar los ajustes de oclusión y de tamaño totalmente personalizado de acuerdo a nuestra experiencia y necesidad según la oclusión y las piezas vecinas para obtener un ajuste adecuado.

Una vez que se ha diseñado la corona dental en Clinux, el siguiente paso es exportar el archivo de diseño en formato STL, que es compatible con la mayoría de las impresoras 3D.

En este caso, se utiliza la impresora 3D Sprintray, que es una impresora de resina de alta calidad y precisión que es ideal para la impresión de coronas dentales.

La impresora Sprintray utiliza una tecnología de impresión 3D de fotopolímero, que se basa en la exposición de la resina líquida a una luz UV para solidificar la capa por capa de la corona dental.

¿Qué material se utiliza para imprimir?

La resina Crown de Sprintray tiene una dureza de 90 Shore D, lo que significa que es un material rígido pero aún así tiene cierta flexibilidad. Esta dureza es adecuada para la impresión de coronas dentales que deben soportar fuerzas masticatorias en la boca del paciente.

Fernando Germán DDS. Director Dentinova. Director Dentinova Academy.

Postgrado en Implantología New York University. Kol de Sprintray Ibérica. Ponente de ETK Implant.

Otras de las características son: resistencia a la flexión: 116-150 MPa; módulo de elasticidad: 4.090 MPa.

El sistema de Sprintray, siendo el más veloz en el mercado de las impresoras debido a su tecnología y a su superficie de impresión reducida y fiel al diseño entregado en la plataforma, nos permite ofrecer al paciente que pueda esperar en la misma sala que su corona o incrustación se procese y se pueda entregar en la misma visita si así se desea.

También se puede imprimir todos los diseños que el diseñador Cad Cam nos envía desde el laboratorio en la misma plataforma aprovechando el tiempo.

29 eldentistamoderno septiembre 2023
Dr.

caso clínico

IMPRESIÓN 3D

En otras ocasiones el uso de un programa de diseño completo para casos de mayores complejidades puede ser necesario la colaboración de un diseñador cadcam que utilice el sistema Exocad por ejemplo como en las siguientes secuencias.

Caso clínico múltiple

Extracciones múltiples previstas y escaneo del caso para una colocación rápida de un puente impreso provisional en clínica.

En este caso se ha realizado una proyección diseñada para un puente de 6 piezas. Se envía el escaneo al centro de diseño y nos devuelve un archivo que nos permite imprimir en clínica previo a la extracción de las piezas dentarias, de esta manera podemos colocar el puente en la misma visita y lo consideramos como un provisional de larga duración.

2) La calidad de la resina utilizada para la impresión.

3) La calibración de la impresora.

4) Habilidad del odontólogo para ajustar la corona impresa en 3D.

¿Cuál es el margen de ajuste?

El margen de ajuste de la impresora Sprintray con respecto a los pilares de los implantes depende de varios factores, entre ellos :

1) La precisión del escaneo digital, acceso, humedad, angulación.

En general, se espera que la impresora tenga una precisión de impresión de hasta 50 micras, lo que significa que puede imprimir capas de resina con una precisión de hasta 0.05 mm. Sin embargo, este margen de ajuste puede variar dependiendo del tipo de implante utilizado, la ubicación del implante en la boca del paciente y la complejidad de la restauración dental o del acceso a la pieza dentaria. La impresora Sprintray también cuenta con un software especializado que permite a los odontólogos ajustar los parámetros de impresión para lograr la calidad y precisión óptimas, así como los soportes de fijación de dichas coronas o estructuras con una facilidad increíble para retirarlos a mano sin ninguna dificultad.

En resumen:

1. Alta precisión: la resina Crown de Sprintray tiene un alto ajuste de impresión que permite obtener coronas dentales con un margen preciso de hasta 50 micras.

2. Durabilidad: la resina Crown de Sprintray es resistente y duradera, lo que garantiza una larga vida útil para las coronas dentales impresas. La sensación para el paciente según nos van comentado es la sensación de igualdad en el momento de la masticación en comparación con los dientes naturales y en contraposición a la masticación con coronas de zirconio.

30 eldentistamoderno septiembre 2023

3. Estética: la resina Crown de Sprintray ofrece una excelente estética y transparencia, lo que permite obtener coronas dentales que se asemejan a los dientes naturales del paciente y que puede ser fácilmente maquillada con resinas fotopolimerizable con lámpara común que todos los dentistas tienen en la clínica.

La corona se lava para eliminar el exceso de resina y se cura en una luz UV especial con una longitud de onda determinada que permite endurecer y fortalecer la corona dental impresa en 3D. Todo este proceso puede durar menos de 15 minutos dependiendo del material que se imprime. Este proceso le otorga una dureza más superior y un cierre de poros de la resina. Finalmente, la corona dental impresa en 3D se ajusta y se coloca en la boca del paciente, garantizando que se ajuste cómodamente y se sienta natural.

Conclusiones

En conclusión, este estudio demuestra el potencial de la tecnología de impresión 3D para la fabricación de coronas dentales personalizadas. La combinación de la tecnología CLINUX y la inteligencia artificial de diseño de Sprintray ofrece una solución altamente eficiente y efectiva para la fabricación de coronas impresas en 3D.

¿Cuál es el paso siguiente una vez que tenemos la corona impresa?

Una vez que se ha completado la impresión 3D de la corona dental, se procede a la fase de post-procesamiento, que incluye el lavado y curado de la corona.

Esta tecnología puede mejorar la precisión, la eficiencia y la calidad de las coronas impresas en 3D y ofrecer beneficios significativos para los pacientes y los dentistas. El flujo digital en la impresión de coronas 3D es un proceso que se ha vuelto cada vez más popular en la odontología moderna. Este proceso utiliza tecnología digital para crear coronas dentales personalizadas con mayor precisión y eficiencia que los métodos tradicionales. El proceso de flujo digital involucra una serie de etapas que permiten la creación de coronas dentales de alta calidad, desde el escaneo digital de la boca del paciente hasta la impresión 3D de la corona en la misma clínica y en menos de una hora.

31 eldentistamoderno septiembre 2023

caso clínico

Adicionalmente se puede maquillar con resinas y tintes de distintas índoles y polimerizarlas con cualquier lámpara halógena que respete las intensidades de longitud de onda adecuada.

Con el software CAD y la fabricación asistida por ordenador (CAM), las coronas se pueden diseñar y fabricar en un solo día, lo que significa que los pacientes pueden recibir tratamiento más rápido y en menos visitas. En tercer lugar, el flujo digital también permite una mayor comodidad para el paciente. En lugar de tomar impresiones tradicionales de la boca del paciente, que pueden ser incómodas y requieren de múltiples tomas, los escáneres intraorales pueden tomar una sola imagen digital en cuestión de segundos con mucha más precisión y ser recuperada a través del tiempo si fuera necesario sin tener que llamar nuevamente al paciente para repetir una corona. En general, el flujo digital en odontología para la fabricación de coronas dentales es una técnica que proporciona una mayor precisión, eficiencia y comodidad para el paciente además de un respaldo legal contundente.

Las 3 conclusiones que permiten cambiar el mundo dental:

La conclusión de utilizar el flujo digital en odontología para la fabricación de coronas dentarias es que se obtienen numerosas ventajas en comparación con los métodos de fabricación tradicionales. En primer lugar, el flujo digital permite una mayor precisión en el diseño y la fabricación de la corona dental. Los escáneres intraorales y el software CAD permiten obtener un modelo digital 3D preciso de los dientes del paciente, lo que permite a los dentistas diseñar coronas que se ajusten perfectamente a la forma y tamaño de los dientes naturales. En segundo lugar, el flujo digital reduce el tiempo y el esfuerzo necesarios para fabricar las coronas dentales.

Además, el uso de la tecnología digital también puede mejorar la comunicación entre el dentista y el laboratorio dental, lo que significa que los pacientes pueden obtener resultados más satisfactorios y de alta calidad. 

Bibliografía y experiencias personales

Evaluation of the Accuracy of Fit of 3D-Printed Surgical Guides Manufactured Using Stereolithography Apparatus and Desktop 3D Printer” por Gyeong Bok Jung, Ji-Man Park, et al. –

A review of three-dimensional printing in implant dentistry” por Yi Zhang, ArashKhojasteh, et al.

Accuracy of digital impressions and fitness of single crowns based on digital impressions: A systematic review and meta-analysis” porEilhard Mix, MarlisEichberger, et al.

Digital technology in complete denture fabrication: A systematic review” porCemalAydın, SelçukSeker, et al.

32 eldentistamoderno septiembre 2023 IMPRESIÓN 3D

ENTREVISTAS

• Dr. Juan Carlos Pérez Varela, presidente de SEdO y co-presidente del Comité Organizador del II Congreso de Alineadores y Nuevas Tecnologías

Siguiendo la evolución de la Odontología para el profesional del sector llamado a construir el futuro

• Dr. Vicente Farga Monzó, presidente del 52º Congreso Anual de SEPES

• Dr. Juan Blanco, co-coordinador del SEPA Bone Regeneration Global Summit

• Dra. Olalla Argibay, vocal de la Junta Directiva de SEPA

• Dr. Luis Ilzarbe, odontólogo.

GESTIÓN, COMUNICACIÓN Y MARKETING Técnicas para mejorar la experiencia de ir al dentista

123RF

invis es el futuro ortorestaurador.

Invisalign S mile Architect ™

Transforme los procedimientos invasivos del pasado en los tratamientos mínimamente invasivos del mañana.

Invisalign Smile Architect™ es la primera solución de diseño de sonrisas que combina alineación y planificación restauradora en una única plataforma, promoviendo una salud bucodental integral.

© 2023 INVISALIGN, ITERO y CLINCHECK, entre otras, son marcas comerciales y/o marcas de servicio de Align Technology, Inc. o una de sus filiales o empresas asociadas y pueden estar registradas en EE.UU. y/o en otros países. M11148

“TODAS LAS PONENCIAS, MESAS DE DEBATE Y CASOS CLÍNICOS

PRESENTADOS EN EL CONGRESO SEDO 2023 ESTARÁN ENFOCADOS A UNA APLICACIÓN PRÁCTICA”

Dr. Juan Carlos Pérez Varela, presidente de la Sociedad Española de Ortodoncia (SEdO) y co-presidente del Comité Organizador del II Congreso de Alineadores y Nuevas Tecnologías (22 y 23 de septiembre, Santiago de Compostela)

Con el objetivo de reunir a más de un millar de profesionales y estudiantes interesados en conocer los últimos avances en ortodoncia y tecnología, la Sociedad Española de Ortodoncia (SEdO) organiza los días 22 y 23 de septiembre en Santiago de Compostela el II Congreso de Alineadores y Nuevas Tecnologías. Expertos de primer nivel nacionales e internacionales compartirán con los asistentes las últimas tendencias en alineadores y nuevas tecnologías desde un enfoque práctico, según nos desvela en esta entrevista el Dr. Juan Carlos Pérez Varela, presidente de la SEdO y co-presidente del Comité Organizador del encuentro.

 DM.- Háblenos del programa científico del Congreso de Alineadores y Nuevas Tecnologías de la SEdO. ¿En qué consistirá y qué novedades incorpora esta segunda edición del Congreso?

Dr. Juan Carlos Pérez Varela (Dr. J.C.P.V.).- El programa científico del II Congreso de Alineadores y Nuevas Tecnologías de la SEdO se ha diseñado cuidadosamente para ofrecer a los asistentes una experiencia educativa enriquecedora y actualizada. Durante el congreso, se abordarán diversas temáticas relacionadas con los últimos avances en ortodoncia y las nuevas tecnologías aplicadas a los alineadores, como pueden ser el empleo de la tecnología 3D, las impresoras 3D y la Inteligencia Artificial en nuestras clínicas. También hablaremos acerca de los tratamientos con alineadores desde edades tempranas y de su efectividad incluso en los casos más complejos, así como de la importancia del abordaje multidisciplinar. Lo haremos de la mano de profesionales pioneros en el empleo de estas novedades, quienes compartirán su experiencia y conocimientos, además de aportar valiosos consejos para que los asistentes puedan aplicar lo aprendido en su práctica clínica diaria.

42 eldentistamoderno septiembre 2023 entrevista ENTREVISTA

En esta segunda edición, hemos incorporado novedades que incluyen sesiones magistrales a cargo de reconocidos expertos nacionales e internacionales, así como una maratón de casos clínicos. Todo ello con un enfoque práctico que permitirá a los profesionales adquirir habilidades y conocimientos específicos sobre el uso de alineadores y las últimas tecnologías en la ortodoncia.

 DM.- Con el fin de actualizar a los profesionales asistentes, ¿cuáles son las principales temáticas que abordará el Congreso SEdO 2023?

Dr. J.C.P.V.- El Congreso SEdO Santiago 2023 abordará diversas temáticas de gran relevancia para los profesionales de la ortodoncia. Entre los principales temas a tratar se encuentran: los avances en tecnología de alineadores, el uso de escáneres intraorales y su integración en el flujo de trabajo clínico, el manejo de casos complejos con alineadores, la ortodoncia digital y su impacto en la planificación del tratamiento, la idoneidad del tratamiento con alineadores desde edades tempranas y las últimas investigaciones en el campo de la ortodoncia y las nuevas tecnologías, entre otros. El empleo de softwares combinados con tecnología 3D e Inteligencia Artificial nos permiten hacer nuestros procedimientos mucho más predecibles. Incluso ya se comienza a instaurar la utilización de escáneres en remoto.

 DM.- En este sentido, ¿cuáles son los temas de mayor relevancia para la práctica clínica en materia de alineadores y nuevas tecnologías aplicadas a la ortodoncia que se tratarán durante el encuentro?

Dr. J.C.P.V.- Todas las ponencias, mesas de debate y presentaciones de casos clínicos estarán enfocados a una aplicación práctica por parte de los congresistas una vez regresen a sus centros.

 DM- ¿Qué tendencias en alineadores y nuevas tecnologías estarán presentes en el Congreso?

Dr. J.C.P.V.- Como hemos señalado, entre las tendencias que se abordarán en el congreso destacan, por ejemplo, los grandes avances en inteli -

43 eldentistamoderno septiembre 2023
El programa científico del II Congreso de Alineadores y Nuevas Tecnologías de la SEdO se ha diseñado cuidadosamente para ofrecer a los asistentes una experiencia educativa enriquecedora y actualizada

entrevista

enorme labor y ha logrado sumar a los mejores entre los mejores. Desde fuera de España nos visitarán también grandes nombres como los doctores Simon Graf, Matthias Peper, André El Zoghbi y Paul Medina.

Va a ser una cita inolvidable y animo a todos a visitar la página web del congreso para descubrir a todos los ponentes y conocer el programa completo.

 DM.- ¿Para qué perfil de profesionales ha sido diseñado este Congreso?

Dr. J.C.P.V.- El II Congreso de Alineadores y Nuevas Tecnologías ha sido diseñado para un amplio espectro de profesionales relacionados con el campo de la Ortodoncia. Está dirigido a ortodoncistas y odontólogos especializados en ortodoncia de todas las edades, e incluso a estudiantes de postgrado interesados en los avances y novedades del campo.

DM.- ¿Cómo están trabajando desde la SEdO para convertir este encuentro en un espacio para el networking y la colaboración?

gencia artificial aplicada a la ortodoncia, el uso de alineadores transparentes en pacientes con maloclusiones más complejas, la digitalización del flujo de trabajo clínico y la personalización de los tratamientos ortodóncicos mediante la tecnología 3D.

 DM.- ¿Qué expertos nacionales participarán como ponentes en el evento? ¿E internacionales?

Dr. J.C.P.V.- Contamos con un cartel repleto de expertos de primer nivel, tanto nacionales como internacionales. Podemos aprender de la mano de auténticos ‘pesos pesados’ de la Odontología y la Ortodoncia como son los doctores Manuel Román, Iván Malagón, Eduardo Espinar, Arturo Vela, Mariano Follana, Romina Vignolo Lobato, Esmeralda Herrero, Diego Peydro, Toni Ortoneda, Federico Hernández Alfaro, Gemma López y Ana de la Torre, entre otros muchos. Yo mismo hablaré acerca de cómo influye el empleo de la tecnología 3D y la Inteligencia Artificial en los tratamientos con alineadores, así como de los tratamientos en niños y adolescentes durante la jornada del viernes 22 de septiembre. Es muy difícil destacar solo unos pocos porque, realmente, el Comité Organizador ha llevado a cabo una

Dr. J.C.P.V.- Desde el Comité Organizador, hemos diseñado el congreso no sólo como un espacio de aprendizaje, sino también como un lugar propicio para el networking y la colaboración entre profesionales. Durante el evento, y como ya viene siendo costumbre en los congresos de la SEdO, se realizarán diferentes actividades sociales y encuentros informales que facilitarán el intercambio de experiencias y la creación de relaciones profesionales. Asimismo, una vez más pondremos en marcha nuestro programa #SEdODirecto, con la realización y emisión de entrevistas a los principales ponentes en tiempo real, a quienes los congresistas podrán hacer llegar sus preguntas.

DM.- ¿Qué previsiones de participación manejan para esta próxima edición?

Dr. J.C.P.V.- Dadas las tendencias y el éxito alcanzado durante la primera edición, celebrada en 2022 en Valencia, esperamos contar con una amplia participación en este II Congreso de Alineadores y Nuevas Tecnologías. Nuestro objetivo es reunir a más de un millar de profesionales y estudiantes interesados en estar al tanto de los últimos avances en ortodoncia y tecnología. De hecho, ya sólo nos quedan disponibles las últimas plazas. Por eso, aprovecho para animar a quienes aún no lo hayan hecho a reservar la suya cuanto antes. 

44 eldentistamoderno septiembre 2023
ENTREVISTA

Align Technology

ENTREVISTA CON EL DR. LUIS ILZARBE, UNO DE LOS PRIMEROS USUARIOS DE INVISALIGN SMILE ARCHITECT™

El Dr. Luis Ilzarbe es un odontólogo general de Valencia que fue uno de los primeros en adoptar Invisalign Smile Architect™, el nuevo software de planificación de tratamientos ortodóncicos y restauradores guiado por el rostro. Aquí comparte las principales ventajas de la nueva herramienta.

 DM.- ¿Cuál cree que es la mayor mejora del software Invisalign Smile Architect en comparación con los anteriores sistemas de diseño de sonrisas dentales?

Dr. L.I.- Es un enfoque totalmente diferente... Como dentista general, siempre planifico primero el movimiento de los dientes y luego avanzo con el procedimiento restaurador. Invisalign Smile Architect permite añadir el marco restaurador en el software para entender mejor por qué se mueven los dientes y dónde se quiere terminar. Para un enfoque multidisciplinar, es la herramienta de planificación y comunicación que nos permite comunicarnos más eficazmente con nuestro equipo e informar a nuestros pacientes, todo en una plataforma dentro del software ClinCheck®.

 DM.- ¿Cuál es la curva de aprendizaje del nuevo software?

 DM.- ¿Cómo ve la introducción de Invisalign Smile Architect en la consulta y en combinación con la odontología estética?

Dr. Luis Ilzarbe (Dr. L.I.).- Los pacientes prefieren dentistas que adopten un enfoque mínimamente invasivo y preserven el máximo tejido posible. Quieren tener unos dientes sanos, no sólo un resultado bonito. Así que, si puedo alinear los dientes para salvar el esmalte, es perfecto. Esto es especialmente importante para mí como profesional y desde el punto de vista de los resultados clínicos, ya que gracias a este software puedo conseguir un resultado estético y mínimamente invasivo al mismo tiempo.

Dr. L.I.- Aprender a utilizar un nuevo software siempre lleva su tiempo, pero Invisalign Smile Architect utiliza el lenguaje natural de los dentistas. Por ejemplo, para la planificación utilizamos líneas faciales y en Invisalign Smile Architect se encuentran las mismas líneas para ayudar en el proceso de planificación: la línea media, la curva de la sonrisa, el arco de la sonrisa, la proporción de área entre los centrales, los laterales y los caninos. Es el mismo software ClinCheck, pero con más opciones y herramientas que nos ayudan a comprender mejor a nuestros pacientes y a ofrecer lo mejor de nuestros conocimientos y nuestras manos.

 DM.- ¿Y qué les parecen a sus pacientes las nuevas funcionalidades?

Dr. L.I.- Les encantan las demostraciones, porque para los dentistas puede resultar natural utilizar un lenguaje técnico, pero para los pacientes no significa nada. Entienden que tienen los dientes apiñados y quieren que se los enderecemos, así que es muy potente ha-

46 eldentistamoderno septiembre 2023 ENTREVISTA
Dr. Luis Ilzarbe.

blarles en un lenguaje que entiendan, utilizando la herramienta de visualización In-Face para explicarles el tratamiento de principio a fin. Con Invisalign Smile Architect podemos poner el marco restaurador dentro de esta simulación para explicar mejor por qué estamos moviendo los dientes y cuál podría ser el resultado final. También nos permite explicar que queremos conservar la mayor cantidad de esmalte posible para adoptar un enfoque mínimamente invasivo. Es fantástico porque estamos compartiendo más información con los pacientes en un lenguaje que entienden. Sin Invisalign Smile Architect, tendríamos que cambiar de plataforma para hacerlo.

 DM.- ¿Cómo se envía el plan de restauración al laboratorio?

Dr. L.I.- Invisalign Smile Architect nos permite exportar el archivo STL del diseño de la sonrisa, lo que significa que podemos compartirlo con nues-

tro protésico dental, con nuestro equipo o con nuestro cirujano, con quien necesitemos compartirlo. Y todo quedaría muy claro, porque les estamos dando la situación anterior, la posterior, la intrusión, la extrusión, el volumen, la altura, la anchura, etc. Realmente facilita el trabajo de todos. 

Si desea más información sobre Invisalign, visite www.invisalign.es

47 eldentistamoderno septiembre 2023
Invisalign Smile Architect es la herramienta de planificación y comunicación que nos permite comunicarnos más eficazmente con nuestro equipo e informar a nuestros pacientes, todo en una plataforma dentro del software ClinCheck®
Entrevista patrocinada

“EN EL CONGRESO CONOCEREMOS LOS SISTEMAS MÁS EFECTIVOS DEL MERCADO Y QUE NOS

APORTAN LOS MEJORES CAMINOS DIGITALES POSIBLES”

Dr. Vicente Farga Monzó , presidente del 52º Congreso Anual de SEPES (12-14 de octubre, Valencia)

La Sociedad Española de Prótesis Estomatológica y Estética (SEPES) celebrará la 52ª edición de su congreso clínico anual los días 12, 13 y 14 de octubre en Valencia. El Dr. Vicente Farga Monzó, presidente de este Congreso, nos detalla en profundidad todas las novedades y oportunidades que ofrecerá el congreso a los profesionales gracias a un enfoque multidiscipinar y con un programa que mostrará las mejores opciones en lo que a digitalización se refiere.

SEPE S 52

VALENCIA

12-14/OCT.

23

a somos digitales. Y ahora ¿que?

a somos digitales. Y ahora, ¿qué?

 DM.- “Ya somos digitales. Y ahora, ¿qué?” es el lema del Congreso SEPES Valencia 23. ¿Cómo han estructurado el programa para dar respuesta a esta pregunta?

Dr. Vicente Farga Monzó (Dr. V.F.M.).- Efectivamente, todos los ponentes conocen desde hace tiempo el lema del congreso y hemos tenido conversaciones con ellos para explicarles lo que queríamos que trataran dentro de ese espectro, que no es más que su experiencia para saber qué es útil o no, dentro de la fluidez digital del trabajo, tanto en chairside como en la relación con el laboratorio.

 DM.- En este sentido, ¿de qué manera se aproximará el encuentro al proceso de digitalización en el que está inmersa la Odontología?

Dr. V.F.M.- Totalmente. Vamos a poder ver las ponencias con los sistemas más efectivos del mercado y que nos aportan los mejores caminos digitales

48 eldentistamoderno septiembre 2023
ENTREVISTA
entrevista

posibles. Los profesionales que aún dudan de si entrar en la digitalización, van a poder comprobar in situ procesos que les van a permitir aclarar muchas dudas que todavía tienen al respecto. Al mismo tiempo vamos a poder recibir información sobre niveles de Inteligencia Artificial que se conjugan con la tecnología digital.

 DM.- En cuanto a los ponentes que participarán en esta próxima edición, ¿qué expertos nacionales e internacionales estarán presentes en SEPES Valencia 23?

Dr. V.F.M.- Contamos con la presencia de expertos venidos de Miami (USA), Osaka (Japón), República Checa, Alemania, Italia, Portugal, Brasil y sobre todo de España.

Hablamos de 80 de los mejores ponentes a nivel mundial, que vienen a mostrarnos sus mejores experiencias y su gran nivel odontológico. En algunos casos, la presentación irá seguida de una mesa redonda o de una conversación entre los ponentes y los moderadores.

 DM.- SEPES Valencia 23 será además un congreso interdisciplinar. ¿A qué profesionales está dirigido el encuentro?

Dr. V.F.M.- En principio está dirigido a los más de 4.300 miembros de nuestra Sociedad científica, pero es un congreso abierto a todos aquellos profesionales que aun siendo de otras áreas de la Odontología quieren saber más de la relación de sus trabajos profesionales con la tecnología digital puesto que, no en vano, la ortodoncia hoy día se realiza con alineadores que son prótesis, la implantología necesita de guías digitales quirúrgicas que son prótesis, las patologías del sueño utilizan dispositivos de avance mandibular que son prótesis, etc.

 DM.- ¿Qué experiencia diferencial aportará a los profesionales su asistencia al 52º Congreso Anual de SEPES?

Dr. V.F.M.- Tenemos la fortuna de pertenecer a la Sociedad científica más avanzada tecnológicamente de España, puesto que todas las herramientas digitales están básicamente dirigidas a realizar de una u otra manera productos protésicos, ya sean restauraciones (inlays, onlays, coronas, puentes provisionales), guías quirúrgicas digitales implantológicas, guías para endodoncia, férulas o placas de descarga, alineadores ortodóncicos, Dispositivos de Avance Mandibular (DAM), etc.

Y es muy importante la aportación de nuestros ponentes en el sentido de que en la mayoría de los casos han sido los probadores de todas las herramientas digitales que han aparecido en el mercado y ellos ya nos están informando de cuáles funcionan mejor, qué softwares son los más avanzados y más adecuados, qué sistemas nos aportan soluciones globales y cuáles no, etc., lo que nos va a evitar a los demás caer en errores por los que ellos ya han ido pasando con anterioridad.

 DM.- ¿Qué novedades incorpora SEPES Valencia 23 respecto a ediciones anteriores?

Dr. V.F.M.- A día de hoy va a ser la reunión donde más soluciones digitales se presenten en un congreso científico, donde se han hecho estudios y seguimientos de las mismas. Novedades digitales como la superposición de las distintas capas (dientes, mandíbula, piel y cara) para el mejor estudio de la armonía dento-facial; novedades en cuanto a nuevos materiales tanto de fresado como de impresión; y novedades en cuanto a tecnologías que van a estar presentes en la exposición comercial de nuestras empresas colaboradoras, tan importantes en este tipo de eventos. Las empresas que estarán presentes en el congreso de SEPES Valencia 2023 son las que verdaderamente se están preocupando por el desarrollo científico de sus productos, de la mano de los investigadores y profesionales de la odontología que componen las Sociedades Científicas como la nuestra, con apoyo y colaboración, y yendo más allá de la mera publicidad y marketing propio.

49 eldentistamoderno septiembre 2023
“ Contamos con la presencia de 80 de los mejores ponentes a nivel mundial, con expertos venidos de Miami (USA), Osaka (Japón), República Checa, Alemania, Italia, Portugal, Brasil y sobre todo de España
El congreso contará con la participación de unas 50 empresas o grupos empresariales tanto nacionales como internacionales y/o multinacionales ”

entrevista

 DM.- En cuanto al respaldo de la industria, ¿cuántas empresas del sector han confirmado su participación en el área comercial?

Dr. V.F.M.- Aproximadamente participan y nos dan su respaldo –y por ello, les estamos muy agradecidos– unas 50 empresas o grupos empresariales tanto nacionales como internacionales y/o multinacionales. El soporte que dan a este tipo de eventos es fundamental para que éstos se puedan seguir realizando y junto a ellos todos crezcamos de for-

ma exponencial. Por todo ello, este año por primera vez planteamos la posibilidad de ofrecerles mayor tiempo de contacto con los congresistas a través de los Lunch Simposio y Afterworks donde dediquen su tiempo a mostrar a sus invitados todas las últimas novedades de una manera más próxima y participativa, y donde interactúen fácilmente con nuestros congresistas.

 DM.- ¿Qué previsión de asistentes tienen para el encuentro?

Dr. V.F.M.- Teniendo en cuenta que el Palacio de Congresos de Valencia tiene una capacidad menor que otros recintos a los que estamos acostumbrados a llevar el congreso de SEPES, congregaremos en torno a unos 2.500 profesionales.

Aun así, serán bienvenidos todos los que quieran disfrutar de uno de los mejores congresos de odontología de, probablemente, la mejor Sociedad científica dental y más desarrollada a nivel tecnológico.

A todos los compañeros les diría que encuentren el tiempo para acudir a SEPES Valencia 23. No se arrepentirán. ¡Os esperamos! 

50 eldentistamoderno septiembre 2023
ENTREVISTA
Por primera vez, ofrecemos a las empresas la posibilidad de mayor tiempo de contacto con los congresistas a través de los Lunch Simposio y Afterworks donde dediquen su tiempo a mostrar las últimas novedades de una manera más próxima y participativa

¡que

VALENCIA 23

12-14/OCT.

Ya somos digitales. Y ahora ¿que?

Ya somos digitales. Y ahora, ¿qué?

51 eldentistamoderno septiembre 2023
BLANCO
COLOR
SEPE S 52
Consulta tarifas y PROMOS en www.congresosepes.org
Descárgate aquí la App del congreso
Si se te han pasado los plazos anteriores de tarifa reducida
éste porque es el último!
SEPTIEMBRE
no se te pase
Hasta el 30 de

“LA ADHESIÓN, LA OSTEOINTEGRACIÓN Y LA REGENERACIÓN SON LOS TRES PRINCIPIOS BIOLÓGICOS QUE

HAN CAMBIADO TOTALMENTE LA ODONTOLOGÍA DEL SIGLO XXI”

Del 19 al 21 de octubre se celebra en Madrid el SEPA Bone Regeneration Global Summit, un congreso de carácter internacional promovido por la Fundación SEPA que contará con investigadores y clínicos de máximo nivel procedentes de todo el mundo para realizar una puesta al día sobre regeneración ósea. El Dr. Juan Blanco, co-coordinador de este encuentro, nos avanza todos los detalles y además nos da su visión sobre los últimos avances en Implantología y destaca la importancia de la formación continua para la profesión.

52 eldentistamoderno septiembre 2023
ENTREVISTA
entrevista
Dr. Juan Blanco, co-coordinador del SEPA Bone Regeneration Global Summit (19-21 de octubre, Madrid)

 DM.- Como co-coordinador del SEPA Bone Regeneration Global Summit, ¿cuáles son los objetivos de este encuentro?

Dr. Juan Blanco (Dr. J.B.).- Claramente una puesta al día sobre regeneración ósea y dentro de esto: explicar los principios biológicos cuando utilizamos distintos biomateriales, tener conocimiento sobre técnicas regenerativas diferidas en el maxilar y, finalmente, estar familiarizado con las técnicas en zona posterior mandibular.

 DM.- ¿Qué novedades en materia de regeneración del tejido oral podrán conocer los asistentes?

Dr. J.B.- Adquirir conocimientos sobre la importancia de utilizar unos biomateriales u otros, una puesta al día sobre injertos personalizados e individualizados según el defecto óseo (regeneración 3D) y también la acción de las membranas más allá del efecto barrera clásicamente conocido.

 DM.- Teniendo en cuenta el carácter internacional de este congreso, ¿qué ponentes tanto nacionales como internacionales participarán en el mismo?

Dr. J.B.- No voy a nombrar a ninguno en particular, para eso está el programa, pero sí es verdad que a eventos como éste, tan específicos, acuden profesionales investigadores y/o clínicos del máximo nivel y de todas las partes del mundo.

 DM.- ¿A qué perfil de profesional está dirigido el programa del SEPA Bone Regeneration Global Summit 2023?

Dr. J.B.- A todos los interesados en regeneración ósea, estén o no familiarizados con la técnica. Es muy importante en nuestra profesión la formación continua, y más en una disciplina donde la investigación y el desarrollo van tan rápido. No queda otra que actualizarse.

53 eldentistamoderno septiembre 2023
“ Los asistentes al SEPA Bone Regeneration Global Summit podrán adquirir conocimientos sobre la importancia de utilizar unos biomateriales u otros, una puesta al día sobre injertos personalizados e individualizados según el defecto óseo (regeneración 3D) y también la acción de las membranas más allá del efecto barrera clásicamente conocido ”

entrevista

El Dr. Juan Blanco es Profesor titular de Periodoncia del Departamento de Estomatología de la USC y del Programa Máster en Periodoncia (UCM), Director del Máster en Periodoncia de la USC, Director del curso Formación Continua “Experto en Periodoncia” en la USC y Presidente de la sección ibérica del ITI (International Team for Implantology).

 DM.- ¿Sobre qué temática se centrará su ponencia en la próxima edición del SEPA Bone Regeneration Global Summit?

Dr. J.B.- Hablaré sobre algo que estamos utilizando desde hace unos años con muy buenos resultados; se trata de bloques óseos (scaffolds) alogénicos individualizados para cada defecto.

 DM.- Dentro del ámbito de la Implantología, ¿en qué investigaciones ha participado recientemente?

Dr. J.B.- En la actualidad estamos trabajando en varios ensayos clínicos sobre la importancia de los concentrados plaquetarios tanto en elevación de seno como en preservación alveolar. Por otro lado, estamos a punto de publicar una serie de 20 casos realizados con la técnica de scaffolds alogénicos individualizados y cubiertos con membrana de colágeno y de L-PRF.

 DM.- ¿En qué medida los avances en regeneración van a determinar el futuro de la Odontología?

Dr. J.B.- Yo creo que la odontología moderna se basa en el desarrollo científico y clínico conseguido en estas últimas décadas basado en la adhesión, la osteointegración y la regeneración. Son tres principios biológicos que han cambiado totalmente la odontología del siglo XXI. Por tanto, la regeneración, tanto ósea como de tejidos blandos, es fundamental en la labor diaria de cualquier odontólogo en la actualidad. No podemos olvidarnos de la prevención, siempre tan importante y necesaria en nuestras profesiones sanitarias, y donde realmente deberíamos invertir nuestros recursos económicos.

 DM.- En su opinión, ¿en qué nivel se sitúa la Implantología que se desarrolla en España? ¿En qué ámbitos destaca nuestro país en materia de regeneración?

Dr. J.B.- Indudablemente, y es algo que ya he mencionado en otras ocasiones, podemos presumir de un alto nivel clínico de profesionales de la odontología. No tenemos nada que envidiar a otros países. Yo creo que destacamos tanto en regeneración ósea como de tejidos blandos. Prueba de ello son las reuniones que lideramos en estos temas, como la que vamos a disfrutar en octubre en Madrid este año y las distintas reuniones que realizamos SEPA y la SIdP (Sociedad Italiana de Periodoncia) relacionadas con regeneración en tejidos blandos, dos de las sociedades líderes en estos temas.

 DM.- ¿Y qué importancia tiene la formación continuada del profesional?

Dr. J.B.- Como ya he mencionado anteriormente, no hay ninguna duda, o te continúas formando o te quedas atrás. Esto va tan rápido que o haces formación continua o te pasa la profesión por encima. No puedo entender un odontólogo sin formación continua.

 DM.- El Dr. Istvan Urban dirigirá el sábado 21 de octubre una cirugía en directo desde su clínica en Budapest. ¿En qué consistirá esta intervención?

Dr. J.B.- En principio está planificada una cirugía en una de las zonas que anatómicamente son más complicadas. Se trata de regeneración ósea vertical y horizontal en la zona posterior mandibular. Creo que vale la pena verlo, no sólo por su habilidad quirúrgica, sino también por su capacidad didáctica. 

54 eldentistamoderno septiembre 2023
ENTREVISTA
55 eldentistamoderno septiembre 2023

entrevista

“QUEREMOS UN PACIENTE INFORMADO Y PARA ELLO DEBEMOS PROPORCIONARLE CONOCIMIENTO”

Dra. Olalla Argibay, vocal de la Junta Directiva de la Sociedad Española de Periodoncia (SEPA)

Desde el área de Sensibilización y Divulgación de la Sociedad Española de Periodoncia (SEPA) trabajan para promover la salud bucal y general, trasladando a pacientes, profesionales e instituciones información al alcance de todos y basada en la evidencia científica actual. La Dra. Olalla Argibay, vocal de la Junta Directiva de la Sociedad, nos explica en esta entrevista la importancia de dar a conocer la asociación entre las enfermedades de las encías y las enfermedades generales, así como la importancia de su prevención, diagnóstico temprano y tratamiento.

 DM.- Como parte de la Junta Directiva de SEPA, usted ocupa el cargo de vocal en el área de Sensibilización y Divulgación. ¿Qué importancia tiene que una Sociedad científica como SEPA cuente con un apartado específico destinado a la sensibilización ciudadana y la divulgación de información sobre la salud de las encías y su influencia en la salud general?

Dra. Olalla Argibay (Dra. O.A.).- Hoy en día las nuevas tecnologías han supuesto un gran avance en todos los ámbitos y, como no podía ser de otra manera, también a la hora de hacer accesible la información. El problema es que no hay un filtro para todo lo que circula por las redes y que, en muchos casos, puede llevar a “bulos” o “falsos mitos”. De eso nos preocupamos en el área de Sensibilización y Divulgación, de que la información esté al alcance de todos, que llegue desde fuentes fidedignas y con importantes mensajes basados en la evidencia científica actual. La promoción de la salud bucal y general siempre ha sido uno de los fines de SEPA y éste es el mensaje que nos gustaría hacer llegar a pacientes, profesionales e instituciones. Tener unas encías sanas implica unas consecuencias funcionales y estéticas; ahora también sabemos que cuidar las encías supone cuidar el resto del cuerpo. Es importante contarle esto a la sociedad y también a toda la comunidad sanitaria. La salud implica a todo el cuerpo.

56 eldentistamoderno septiembre 2023
ENTREVISTA

 DM.- ¿Cuál es el objetivo de SEPA en materia de sensibilización?

Dra. O.A.- Seguir trabajando en esta línea, explicarle a la sociedad la importancia de la asociación entre las enfermedades de las encías y las enfermedades generales y también la importancia de su prevención, diagnóstico temprano y tratamiento. Queremos un paciente informado y para ello debemos proporcionarles conocimiento; seguimos trabajando en nuestro portal “Cuida tus encías”, redes sociales, mensajes en distintos medios de comunicación, revista en papel…. Queremos llegar a la sociedad pero sin perder el rigor científico. También sabemos que para lograr este fin es fundamental hacer partícipe a toda la comunidad sanitaria, ya que debemos poner énfasis en las estrategias preventivas, de ahí nuestra colaboración con las distintas sociedades médicas desde hace años. Imagínate que el dentista, el médico, el farmacéutico o incluso el “influencer” que sigues te dice lo mismo; si todos transmitimos el mismo mensaje el resultado será mucho más eficiente. La salud es un trabajo de equipo.

 DM.- Actualmente, ¿cuál es el nivel de conocimiento por parte de la población española sobre salud bucodental? ¿Y sobre las enfermedades periodontales en concreto?

Dra. O.A.- Es verdad que ha habido un cambio en los últimos años y la preocupación por la salud bucodental y la salud general ha aumentado. Todavía queda mucho trabajo por hacer pero vamos en buena dirección, en dar a conocer las enfermedades periodontales, sus consecuencias y qué podemos hacer para prevenirlas. Poco a poco se va entendiendo que el sangrado de encías no es algo normal y que un diagnóstico precoz permite que los tratamientos sean más sencillos, más efectivos y menos costosos, además de favorecer la salud general.

 DM.- En este sentido, ¿en qué acciones están trabajando desde SEPA para mejorar la concienciación de la población sobre la importancia de la salud bucodental y su influencia en la salud general?

Dra. O.A.- Creemos sin duda que los principales esfuerzos deben ir dirigidos hacia la prevención y el diagnóstico temprano de las enfermedades bucodentales y generales. En esta línea, recientemente se ha presentado Promosalud que es una iniciativa pionera en el mundo. Se trata de un programa específico para facilitar la detección precoz desde la consulta dental del riesgo

de padecer diabetes o hipertensión arterial oculta, e incluye además recomendaciones y orientaciones avaladas por las sociedades científicas de Cardiología, Diabetes, Hipertensión y Periodoncia, nada menos. También se ha publicado el consenso conjunto entre SEPA y SEN (Sociedad Española de Neurología), que ha tenido un gran impacto en todos los medios de comunicación y que pone de manifiesto que la periodontitis aumenta el riesgo de padecer ictus isquémico y demencia de tipo Alzheimer y claro, saltaron todas las alarmas. Pero no son las únicas acciones: protocolo de cesación tabáquica, formación para farmacéuticos, higienistas y demás miembros del equipo de salud, guías de práctica clínica… El enfoque es claro, un mensaje que debe llegar para poder ser transmitido.

 DM.- ¿Qué papel pueden desempeñar las clínicas dentales y sus equipos en la promoción de la salud y la prevención de enfermedades tanto bucodentales como de otro tipo (diabetes, tabaquismo, etc.)?

Dra. O.A.- Todos nosotros, que formamos parte del equipo de salud, tenemos una gran responsabilidad social tanto en la prevención de las enfermedades periodontales como en su tratamiento si ya es tarde para la prevención. Debemos proporcionar los tratamientos más adecuados y de mejor calidad a nuestros pacientes, y esto hoy en día sabemos que implica la modificación de hábitos de vida. Por eso las clínicas dentales deben ser entendidas como centros de promoción de la salud bucal, pero también general. De ahí que la implementación de protocolos de cesación tabáquica y de valoración sistémica del paciente, concretamente del riesgo cardiovascular, la detección diabetes no diagnosticada o hipertensión sean fundamentales. Tenemos datos que nos muestran que las clínicas dentales pueden ser un centro ideal para el screening de este tipo de patologías que ayudan al paciente en la prevención de enfermedades crónicas que, con el tiempo, se agravan o dan complicaciones agudas. 

57 eldentistamoderno septiembre 2023
Si todos transmitimos el mismo mensaje el resultado será mucho más eficiente. La salud es un trabajo de equipo ”

Información para decidir

Solo aquella información basada en la responsabilidad y la calidad nos hace libres para tomar las mejores decisiones profesionales. En ConeQtia, entidad colaboradora de CEDRO, garantizamos contenido riguroso y de calidad, elaborado por autores especializados en más de 30 sectores profesionales, con el aval de nuestros editores asociados y respaldando el uso legal de contenidos. Todo ello con la nalidad de que el lector pueda adquirir criterio propio, facilitar la inspiración en su labor profesional y tomar decisiones basadas en el rigor. Por este motivo, todos los editores asociados cuentan con el sello de calidad ConeQtia, que garantiza su profesionalidad, veracidad, responsabilidad y abilidad.

entrevista ENTREVISTA
coneqtia.com
Con la colaboración de:

experiencia del paciente

TÉCNICAS PARA MEJORAR

LA EXPERIENCIA DE IR AL DENTISTA

El dolor y la ansiedad asociados a los tratamientos dentales son una preocupación constante tanto para los profesionales de la salud bucal como para los pacientes. A lo largo de este artículo la Dra. Cristina Moreno nos habla acerca del desarrollo de técnicas innovadoras, como el método MC2, que combina la tecnología del óxido nitroso, un entorno sensorialmente agradable y la implementación de la oxigenoterapia hiperbárica para ofrecer una experiencia dental sin dolor y libre de miedos.

Contacto: contacto@clinicamc2.com

Entre todas las posibles dolencias que puede padecer el ser humano, el dolor dental se considera una de las peores. Puede ser agudo, persistente y debilitante, y a menudo tiene un impacto significativo en la calidad de vida de una persona.

La percepción del dolor es un proceso subjetivo. Por lo general, además del propio estímulo doloroso, la mente puede jugarnos malas pasadas, y mucho más cuando el ambiente viene acompañado de olores, sonidos u otras circunstancias que nos asustan o inquietan, ya que generan impulsos fi-

siológicos que vierten sustancias bioquímicas en el torrente sanguíneo desatando respuestas corporales no deseadas.

En el ámbito de la odontología, el dolor y la ansiedad asociados a los tratamientos dentales han sido una preocupación constante tanto para los profesionales de la salud bucal como para los pacientes. Sin embargo, gracias a la aplicación del método científico y los avances en la neurociencia, se han desarrollado técnicas innovadoras que reducen la ansiedad asociada al tratamiento, al brindar la posibilidad de una experiencia sin dolor y más relajada.

60 eldentistamoderno septiembre 2023 GESTIÓN, COMUNICACIÓN Y MARKETING

siguiendo la evolución de la Odontología

El método MC2 de la clínica de la doctora Cristina Moreno se basa en el cuidado extremo del paciente. Combina la tecnología del óxido nitroso, un entorno sensorialmente agradable y la implementación de la oxigenoterapia hiperbárica para ofrecer una experiencia dental sin dolor y libre de miedos. Para lograrlo, hemos desarrollado un método innovador que combina diversas técnicas que se presentan en un entorno físico en el que hemos cuidado cada detalle: desde la elección de colores relajantes en nuestra clínica hasta la incorporación de aromas sutiles que ayudan a crear una atmósfera tranquila.

Objetivo: minimizar el dolor

Este protocolo permite al paciente minimizar e incluso eliminar el dolor dental. Se basa en cuatro pilares fundamentales:

1.- La percepción del dolor, comprendiendo que el enfoque debe ser personalizado según quién es el paciente y cuáles son sus reacciones corporales al dolor, ya que no hay dos pacientes iguales.

2.- Bloqueo del dolor, para lo que contamos con avances tecnológicos como el óxido nitroso y la cámara hiperbárica para la recuperación y tratamiento del dolor postoperatorio.

Nuestros pacientes son conscientes de las ventajas del óxido nitroso, ya que no es tan solo su efecto analgésico, sino que el efecto relajante en el cuerpo permite que los procedimientos dentales se realicen de manera placentera y sin efectos secundarios, puesto que el óxido se elimina rápidamente del organismo.

Con este gas el cuerpo está realmente relajado y aunque no deja de percibir los sonidos y olores, no los sufre. El paciente inhala una mezcla de oxígeno y protóxido de nitrógeno lo que produce una sensación de euforia y alivio. La dosis de óxido nitroso se ajusta de acuerdo a las necesidades individuales de cada paciente, lo que garantiza un control preciso de la sedación.

3.- Protocolos de acompañamiento y cuidado. En este sentido, aplicamos los nuevos descubrimientos que la neurociencia nos brinda para reducir la sensación de vulnerabilidad y lograr una mejor respuesta fisiológica. Los estudios en neurociencia han permitido comprender la forma en la que el cerebro procesa el dolor y la ansiedad, lo que ha llevado al desarrollo de estrategias innovadoras para su manejo. Los descubrimientos se basan en el principio de que los pensamientos y las emociones están interrelacionados.

4.- Desarrollamos la odontología de cabecera con el objetivo de recuperar el punto de vista humano que la odontología tradicional ofrecía al paciente y que se ha ido perdiendo con el paso del tiempo. De esta manera, las personas forman parte del tratamiento en todo momento. En nuestra clínica nos preocupamos de que el paciente comprenda cuál es su proceso y que entienda lo que se le hace en consulta.

La oxigenoterapia hiperbárica

Uno de los grandes cambios que hemos incorporado a nuestra clínica, y que supone continuar trabajando en el tratamiento del dolor, es la oxigenoterapia hiperbárica.

La terapia con cámara hiperbárica es un tratamiento no invasivo y seguro que implica respirar oxígeno puro al 100% en un ambiente presurizado. Esto provoca que aumente significativamente la cantidad de oxígeno que llega a los tejidos y órganos, mejorando la circulación sanguínea y promoviendo la curación de manera natural. La terapia potencia la capacidad natural de recuperación del cuerpo, al combatir la oxidación de los tejidos, y aprovecha los efectos fisiológicos potenciadores del oxígeno para promover la curación y la recuperación.

La cámara hiperbárica aumenta hasta 23 veces la oxigenación de los tejidos, desencadenando una cascada de beneficios increíbles que no sólo beneficia al tratamiento dental, ya que al mejorar la circulación sanguínea repercute en todo el cuerpo.

61 eldentistamoderno septiembre 2023
Dra. Cristina Moreno Odontóloga especializada en el tratamiento del dolor dental y directora del Centro Odontológico Dra Moreno.
El método MC2 combina la tecnología del óxido nitroso, un entorno sensorialmente agradable y la implementación de la oxigenoterapia hiperbárica para ofrecer una experiencia dental sin dolor y libre de miedos

experiencia del paciente

mación de nuevos vasos y la oxigenación cerebral disminuye el edema y la inflamación del sistema nervioso central.

• Osteogénesis. La hiperoxia estimula la diferenciación de las células formadoras de hueso, favorece la osteogénesis y la reparación ósea.

• Disminuye el daño de lesión por isquemia-reperfusión.

• Mejora la microcirculación tisular, ya que disminuye la producción de especies reactivas de oxígeno y aumenta su degradación al estimular la expresión de enzimas antioxidantes.

• Produce efecto analgésico en patologías con componente nociceptivo y neuropático, a través de la reparación de tejidos, recuperación de la funcionalidad y reducción de la inflamación.

• Tratamiento de lesiones por radiación. La terapia hiperbárica se utiliza para tratar las lesiones tisulares causadas por la radioterapia en pacientes con cáncer. Ayuda a mejorar la oxigenación de los tejidos afectados, reduce la inflamación y promueve la regeneración celular.

Algunos de sus beneficios son:

• Reparación de fibras neuronales periféricas El oxígeno promueve la plasticidad del sistema nervioso.

• Angiogénesis. La hiperoxia estimula y favorece la formación de pequeños vasos sanguíneos, mejorando así la perfusión.

• Estimulación de la síntesis de colágeno. La hiperoxia induce la hidroxilación de prolina y la proliferación de fibroblastos. Por lo tanto, promueve la síntesis de colágeno, que es esencial para la cicatrización de heridas y la reparación de tejidos.

• Actividad bactericida. La hiperoxia genera especies reactivas de oxígeno que aumentan la actividad de los antibióticos. También trabaja contra el biofilm bacteriano.

• Regulación del estrés oxidativo y respuesta inflamatoria. La hiperoxia actúa sobre reguladores y mediadores de la respuesta inflamatoria y disminuye el estrés oxidativo. Esto resulta en un efecto antiinflamatorio y disminuye el daño celular.

• Aumenta el flujo sanguíneo cerebral y la neuroprotección. Se mejora la perfusión gracias a la for-

• Manejo de trastornos de descompresión. La terapia hiperbárica es muy utilizada en el tratamiento de trastornos de descompresión, como la enfermedad de descompresión en buzos. Al proporcionar oxígeno a altas presiones, ayuda a reducir las burbujas de gas en los tejidos y promueve una recuperación más rápida.

• Mejora de la salud cerebral. La oxigenación hiperbárica ha demostrado beneficios en el tratamiento de lesiones cerebrales traumáticas.

• Recuperación deportiva. Se está comprobando que con este tratamiento aumenta el rendimiento de los deportistas y en caso de una lesión, la recuperación también es mucho más rápida.

• Medicina estética. En tratamientos de cirugía estética como el coadyuvante, en cirugía capilar o en el ámbito de regeneración celular, entre otros.

En definitiva, la terapia con oxígeno es completamente segura, ya que es una técnica respaldada por investigaciones científicas y estudios clínicos de reconocida solvencia. El paciente entra en un oasis de oxígeno puro a una presión superior a lo convencional que le aporta todos los beneficios enumerados. Por todo ello, con esta técnica –que forma parte de nuestro método MC2– buscamos mejorar la vida de nuestros pacientes y eliminar el dolor y el miedo a acudir al dentista. 

62 eldentistamoderno septiembre 2023 GESTIÓN, COMUNICACIÓN Y MARKETING
63 eldentistamoderno septiembre 2023 CONGRESO X X SECIB CÓRDOBA 21-23 SET’23 www.secibonline.com Secretaría Técnica Grupo Meraki - Eventos con alma c/ Bruc, 28, 2 - 08010 Barcelona Tel. 607 499 365 congreso@secibonline.com ¿Te lo vas a perder? PONENTES JOSÉ MANUEL AGUIRRE EDUARDO ANITUA GUSTAVO ÁVILA JOSÉ V. BAGÁN JUAN BALLESTEROS LUIGI CANULLO ANTONIO CASTILLA ADRIANA CASTRO JOSÉ MIGUEL CISNEROS LUIS CUADRADO JOSÉ L. DOMÍNGUEZ ABDELSALAM ELASKARY IGNACIO FERNÁNDEZ ANA FERNÁNDEZ DAVID GONZÁLEZ AIDA GUTIÉRREZ JOSÉ L. GUTIÉRREZ ARGIMIRO HERNÁNDEZ JUAN LARA ENRIQUE LÓPEZ ERNEST MALLAT EDUARDO MONTERO PATRICK PALACCI CARLOS PARRA ANTONIO ROMERO MANUEL M. ROMERO Mª. ÀNGELS SÁNCHEZ JUAN SEOANE JORGE TOLEDANO TERRY ZANIOL IÑIGO FDEZ-FIGARES GIULIANO FRAGOLA ÓSCAR GONZÁLEZ JORGE GALANTE JERIAN GONZÁLEZ PABLO GALINDO RONAR GUDIÑO COSME GAY

MÉDICOS, DENTISTAS, FARMACÉUTICOS Y VETERINARIOS UNEN

FUERZAS PARA CUIDAR DE LA SALUD DE SUS PROFESIONALES

a la detección de profesionales médicos con problemas o dificultades en materia de salud mental y/o adicciones; facilitar al profesional enfermo un Programa de Atención Especializada formado por una red de profesionales y recursos que traten su problemática, le ayuden a resolver su situación y pueda ser recuperado para el ejercicio de su profesión con todas las garantías para él y para la población objeto de su trabajo y, finalmente, garantizar al sanitario enfermo en tratamiento el anonimato, con total confidencialidad y secreto profesional en la atención que reciba a través de dicho programa.

El Consejo General de Médicos ha suscrito un protocolo general de colaboración con los Consejos de Dentistas, Farmacia y Veterinaria para el apoyo e impulso en la creación, coordinación e implementación de un Programa de Atención Integral al Profesional Sanitario Enfermo, adaptado a las necesidades de cada profesión, en base a la experiencia y éxito del Programa de Atención Integral al Médico Enfermo (PAIME) desarrollado por los colegios de médicos desde hace 25 años.

Este protocolo tiene como objetivo principal promover el cuidado de la salud de los diferentes profesionales sanitarios en base a la problemática y circunstancias concretas de los miembros de cada profesión, para poder así proporcionar la mejor respuesta en materia de promoción, prevención y cuidado de la salud.

Los profesionales sanitarios son un colectivo especialmente vulnerable en determinados ámbitos de salud mental. Además, su bienestar físico y mental se ha visto especialmente afectado en la pandemia, con un enorme impacto en términos de salud mental que lejos de revertirse tras el fin oficial de la pandemia, perduran y en algunos casos se acentúan.

Por ello, desde las profesiones sanitarias se trabaja para ampliar esta protección, más necesaria ahora que nunca, mediante una respuesta integral y profesional a quienes sostienen el Sistema Nacional de Salud.

Las iniciativas que se van a promover con el asesoramiento del Consejo General de Médicos promueven el acceso voluntario y la rehabilitación del profesional afectado con objetivos muy claros como ayudar

Los presidentes de los cuatro Consejos Generales, Tomás Cobo, Jesús Aguilar, Luis Alberto Calvo y Óscar Castro, impulsores de esta iniciativa, han puesto de relieve que este tipo de programas garantizan a los ciudadanos que sus profesionales les atienden en las mejores condiciones posibles “porque además de cuidar del profesional, de nuestros compañeros, cuidamos la salud de los ciudadanos. Esto es un claro ejemplo de responsabilidad social corporativa, de ética profesional y de compromiso con la sociedad”.

Óscar Castro Reino, presidente del Consejo General de Dentistas de España, ha declarado que con este acuerdo “queremos reconocer y valorar la importancia de la salud mental en el bienestar general de los profesionales sanitarios. En nuestro caso, los dentistas desempeñan un papel fundamental en el cuidado de la salud bucodental de la población y a menudo tienen que afrontar mucha presión en su práctica diaria, pues su trabajo implica realizar trabajos muy delicados manteniendo altos estándares de calidad. Asimismo, es frecuente atender a pacientes que acuden a la consulta con miedo o ansiedad, lo que dificulta el tratamiento. Estas situaciones generan altos niveles de estrés en el dentista, que pueden derivar en el síndrome  burnout e incluso en depresión. Por tanto, formar parte de un programa específico de salud que facilite el acceso a terapeutas o psicólogos es fundamental para promover su bienestar general”. Asimismo, el Dr. Óscar Castro Reino recordó que “no debemos olvidar la importancia de cuidar al cuidador”.

Tal y como aseguró el presidente del Consejo General de Dentistas de España, “nosotros tenemos la misión de proteger a los profesionales sanitarios y garantizar unas condiciones óptimas de trabajo; del mismo modo, entre nuestras obligaciones institucionales también está la de poner a su disposición programas y atención psicológica personalizada para que puedan solucionar cualquier problema que afecte a su salud mental”. 

actualidad NOTICIAS 64 eldentistamoderno septiembre 2023
De izq. a dcha. Jesús Aguilar, Tomás Cobo, Óscar Castro y Luis A. Calvo.

LA EFP PUBLICA UNA GUÍA SOBRE EL TRATAMIENTO DE LAS ENFERMEDADES PERIIMPLANTARIAS

La EFP (Federación Europea de Periodoncia) ha anunciado una nueva guía destinada a ayudar a los profesionales de la salud bucodental de todo el mundo a prevenir y tratar mejor las enfermedades periimplantarias entre sus pacientes. Basada en las últimas evidencias científicas, esta guía ofrece una serie de recomendaciones para mantener la salud de los tejidos periimplantarios y gestionar eficazmente las enfermedades periimplantarias.

Esta guía de práctica clínica de nivel S3, el más alto según los estándares científicos, es el resultado del Perio Workshop 2022, una reunión de expertos y partes interesadas organizada por la EFP en noviembre de 2022. Tras meses de trabajo, incluida una rigurosa síntesis de pruebas en 13 revisiones sistemáticas especialmente encargadas, y un exhaustivo proceso de consenso, el documento “Prevention and treatment of peri-implantdiseases - the EFP S3-level clinical practice guideline” (Prevención y tratamiento de las enfermedades periimplantarias: guía de práctica clínica de nivel S3 de la EFP), del que son autores el profesor David Herrera y otros, se publicó en la revista Journal of Clinical Periodontology (JCP), editada por la EFP.

La prevención de las enfermedades periimplantarias debe iniciarse en cuanto se planifican inicialmente los implantes dentales, afirma la guía, que define las intervenciones dentro de la prevención “primordial”. Una vez que los implantes están en función, el paciente debe seguir un programa de cuidados periimplantarios de apoyo, que incluya

evaluaciones periódicas de la salud de los tejidos periimplantarios e instrucciones de higiene bucal. La suposición popular de que el mantenimiento de la higiene de los implantes dentales es menos exigente que el de los dientes es errónea; de hecho, ocurre todo lo contrario. La buena noticia es que la detección precoz de las enfermedades periimplantarias facilita y acelera el tratamiento y aumenta las probabilidades de éxito.

Esta guía sigue a dos guías de práctica clínica similares de nivel S3 que la EFP ha producido en los últimos años para un tratamiento moderno y basado en la evidencia de la periodontitis, desarrolladas de acuerdo con la clasificación actualizada de 2018 de las enfermedades de las encías. Las guías de nueva generación se basan en las conclusiones del Perio Workshop 2019 sobre el tratamiento de la periodontitis en estadios I-III, y del Perio Workshop 2021 sobre el tratamiento de la periodontitis en estadio IV, y se publicaron en 2020 y 2022, respectivamente.

“Las enfermedades periimplantarias son afecciones inflamatorias muy prevalentes y su tratamiento puede ser todo un reto”, advierte el profesor David Herrera, autor principal de la guía. “Seguir las recomendaciones facilitará un enfoque coherente, interdisciplinario y basado en la evidencia para la prevención y el tratamiento de las enfermedades periimplantarias entre todos los profesionales de la odontología”, explica el coautor del documento, el profesor Moritz Kebschull. 

65 eldentistamoderno septiembre 2023

DR. DANIEL TORRES, PRESIDENTE DE SECIB: “LA CIRUGÍA BUCAL

HA AVANZADO MUCHO EN EL DIAGNÓSTICO Y TRATAMIENTO DEL CÁNCER ORAL Y EN MEJORAR LA REGENERACIÓN ÓSEA”

El presidente de la Sociedad Española de Cirugía Bucal (SECIB), el Dr. Daniel Torres, afirma que “la cirugía bucal ha avanzado mucho en el diagnóstico y tratamiento del cáncer oral y en técnicas de regeneración ósea”, a propósito del congreso nacional que se celebrará los próximos días 21-23 de septiembre en Córdoba y en los que se abordarán las novedades científicas y técnicas quirúrgicas de este tipo de enfermedades, entre otras.

SECIB agrupa a 1.600 profesionales odontólogos con interés y práctica preferente en cirugía bucal. La cirugía bucal es la parte de la odontología que se encarga del tratamiento quirúrgico de la patología del aparato estomatognático, es decir el constituido por la boca, los dientes, las mandíbulas, la faringe y estructuras relacionadas que intervienen en los fenómenos de la masticación, deglución y el habla. Además, realiza actividades de prevención, diagnóstico y tratamiento relativas a las enfermedades del citado aparato.

Uno de los temas estrella del congreso es el diagnóstico y abordaje quirúrgico del cáncer oral. Según el consejo general de dentistas se diagnostican anualmente en España 8.200 casos de este tipo de cáncer a causa del cual mueren 1.500 personas. Esta alta mortalidad se debe a que solo se detectan de forma precoz el 25-30% de los casos. Con una detección temprana se aumentaría la tasa de supervivencia un 90%”. Aunque es frecuente en los hombres, crece su incidencia en las mujeres debido al tabaquismo. Con respecto a la edad, a pesar de ser un tumor cuya edad media de aparición está por encima de los 50 años, en los últimos años ha aumentado el número de casos en pacientes de 40 años y en menores de esa edad. Los principales factores de riesgo son el consumo de tabaco y alcohol (75%). Otras causas son la exposición prolongada al humo del tabaco ajeno; la infección por el virus del papiloma humano (VPH) o por el de Epstein-Barr; una mala higiene oral; una dieta deficiente en frutas y verduras y la exposición a ciertos químicos y sustancias tóxicas en el lugar de trabajo.

Se estima que hasta el 80% de nuevos casos de cáncer oral podrían evitarse si se eliminara el consumo de tabaco y se redujera la ingesta de alcohol, de tal forma que disminuiría el riesgo hasta un 35% a los 1-4 años de dejar de fumar y un 80% a los 20 años. Asimismo, el consumo adecuado de fruta y verdura se ha asociado con un descenso significativo del riesgo de desarrollo de cáncer oral. El diagnóstico precoz continúa siendo una labor esencial de los odontólogos en el manejo de los pacientes con cáncer oral, ya que aumenta significativamente las

posibilidades de curación, evitando la necesidad de tratamientos radicales y mejorando la calidad de vida de los pacientes.

Según el doctor Torres, “la cirugía permite erradicar en un buen número de casos el cáncer y en otros tenerlo bajo control junto con medidas terapéuticas complementarias. En el congreso vamos a tratar las practicas que puede aportar la odontología al diagnóstico precoz y a la rehabilitación de este tipo de pacientes, que quedan mutilados de por vida. El papel del cirujano bucal y del odontólogo es fundamental para dotar a estos pacientes de una calidad de vida lo más aceptable posible”.

Por otra parte, el doctor Torres explica que “la cirugía bucal es un apartado dentro de la odontología y podemos distinguir distintas técnicas o áreas como pueden ser la patología de las inclusiones dentarias (cuando los dientes se desarrollan en el interior del hueso, de la mandíbula o el maxilar superior), las infecciones odontogénicas (las que afectan a la estructura del diente), la implantología, o los quistes y tumores de los maxilares”.

El presidente del SECIB dice que “la influencia de la salud bucal en otras patologías sistémicas esta puesta en manifiesto y se conoce desde hace muchísimos años. Por desgracia hay una corriente de trabajo en la cual solo relaciona con esas enfermedades sistémicas la periodontitis (inflamación de las encías), mediante evidencia de una limitada calidad, sin que se avancen en estudios que la contrasten. Avanzar hipótesis y relaciones de todo tipo, sin contrastar finalmente la hipótesis de causalidad, no permite a la ciencia establecer criterios. En nuestra área, por ejemplo, y avalados por múltiples estudios a lo largo de décadas, las infecciones odontogénicas pueden influir muchísimo en el rendimiento de deportistas, así como sabemos que el tabaquismo y el alcohol pueden influir en el desarrollo del cáncer oral.

Enfermedades periimplantarias

Hablemos ahora de las enfermedades periimplantarias porque son frecuentes y en muchos aspectos aún desconocidas y con consecuencias nefastas para el éxito de la terapia de implantes. Es otro de los asuntos que se tratarán en el XX Congreso de SECIB.

“La periimplantitis se produce cuando el implante comienza a perder su soporte óseo. Según un estudio de la Sociedad Española de Periodoncia y Osteointegración (SEPA) al menos uno de cada cuatro pacientes que tienen un implante dental (un 24%) desarrollan periimplantitis a medio plazo (seguimiento medio de nueve años) y, si se le suma también la mucositis, esta cifra aún se incrementa más, de

actualidad NOTICIAS 66 eldentistamoderno septiembre 2023
SECIB
En la imagen, el presidente de la Sociedad Española de Cirugía Bucal (SECIB), el Dr. Daniel Torres.

manera que más de un 50% de las personas que se someten a terapia de implantes dentales presentan alguna de estas dos enfermedades (periimplantitis y/o mucositis )”, señala.

A juicio del doctor “al igual que los dientes naturales, los implantes dentales precisan una óptima higiene y requieren visitas de mantenimiento en la consulta dental. La presencia de estas infecciones amenaza seriamente la supervivencia del propio implante. El porcentaje de pacientes y de implantes que presentan pérdidas de hueso por encima del valor umbral de la enfermedad es altísimo”. El abordaje quirúrgico y terapéutico de esta situación consiste en realizar un trasplante del hueso del maxilar para dotarle de un soporte natural al implante: es lo que denominamos regeneración ósea.

España es uno de los países de Europa donde más implantes dentales se colocan; de hecho, dos de cada 10 personas de entre 25 y 79 años afirma llevar ya un implante dental. Las estimaciones más recientes indican que en nuestro país se colocan entre 1.200.000 y 1.400.000 implantes al año. Por ello, los profesionales del sector de la implantología dental y de la cirugía bucal insisten en que, a la hora de realizarse un tratamiento de manera segura, es necesario informarse bien y exigir referencias para evitar sufrir engaños o daños personales”. La lucha contra estas enfermedades implantarias “debe comenzar por una correcta planificación terapéutica, seguida de una buena ejecución quirúrgica y prostodóntica y, por último, concienciando a los pacientes de la necesidad de un mantenimiento higiénico y periimplantario mantenido en el tiempo”.

“Pero, además, son enfermedades infradiagnosticadas y se estima que más del 74% de los pacientes desconoce lo que es la enfermedad periimplantaria, por lo que la educación representa la primera línea en el enfoque preventivo ”, añade.

La osteonecrosis de los maxilares

Otro de los problemas crecientes en la población adulta es la osteonecrosis de los maxilares (cuando el hueso de la mandíbula queda expuesto y las células comienzan a morir por falta de sangre) producida por bisfosfonatos (ONMB), medicamentos que se recetan para el tratamiento de diversas patologías óseas como la osteoporosis de las mujeres posmenopáusicas. La osteonecrosis maxilar secundaria a bisfosfonatos (ONMB), es un cuadro clínico de importante repercusión para el paciente y para el odontólogo. Su incidencia aumentará en los próximos años, debido al aumento del consumo de esta droga (así como otras que también se han relacionado con este efecto secundario). Las medidas preventivas y terapéuticas deben ser conocidas por los odontólogos y médicos especialistas que traten esta patología.

“Se recomienda que cuando el médico tratante decide comenzar un tratamiento con estos fármacos, es fundamental que los pacientes sean derivados al odontólogo, para comenzar con el protocolo preventivo. Realizar un diagnóstico temprano de la ONMB puede evitar o reducir la morbilidad asociada a las lesiones destructivas del hueso. La profesión dental está ciertamente en una posición de privilegio, para prevenir y diagnosticar precozmente esta alteración”, asegura el doctor. 

EL XX CONGRESO DE SECIB SE CELEBRARÁ DEL 21 AL 23 DE SEPTIEMBRE EN CÓRDOBA

El XX Congreso de la Sociedad Española de Cirugía Bucal (SECIB) se celebrará en Córdoba los días 21, 22 y 23 de septiembre. El encuentro presentará “una vertiente investigadora y basada en la evidencia científica, además de abordar el lado clínico de la Cirugía Bucal, intentando conseguir una adecuada conjunción de ambos enfoques”, tal y como explica el presidente del Congreso, Jose Javier Pinilla. Para ello el congreso presenta ponentes tanto nacionales como internacionales de alto prestigio científico.    Durante la primera jornada, el día 21, el programa incluye un curso precongreso sobre “Regeneración ósea 3D e la zona estética: ROG con membranas no reabsorbibles PTFE vs. Técnica de Khoury SBB”.

A continuación, tendrá lugar la celebración de la Asamblea General de SECIB y el programa continuará por la tarde con ponencias de Ronar Gudiño, Jorge Galante, José Miguel Cisneros, Manuel María Romero, José Luis Domínguez Mompell, Juan Lara Chao y Argimiro Hernández.

En la jornada del viernes 22, el programa contará con ponentes de la talla de Eduardo Montero, Abdelsalam Elaskary, Antonio Castilla,

Carlos Parra, Pablo Galindo, Mª Àngels Sánchez GArcés, Jorge Toledano, Terry Zaniol, Patrick Palacci, Luigi Canullo, David González, Eduardo Anitua, J.V. Bagan, C. Gay Escoda, J.L. Gutierrez, J.M. Seoane y J.M. Aguirre.

El sábado 23, las ponencias correrán a cargo de Adriana Castro, Óscar González, Gustavo Ávila, Ernest Mallat, Giuliano Fragola, Antonio Romero y Juan Ballesteros. 

67 eldentistamoderno septiembre 2023

LA DRA. MARISOL UCHA PRESIDIRÁ LA JUNTA DE GOBIERNO DEL COEM

Provinciales del Colegio Oficial de Odontólogos y Estomatólogos de la Primera Región (COEM) y que no se ha presentado impugnación ante la publicación de las mismas realizada el pasado 1 de agosto de 2023, ha acordado dar por concluido el procedimiento electoral, procediendo a proclamar los siguientes cargos electos para su Junta de Gobierno:

• Presidenta: Marisol Ucha Domingo.

• Vicepresidenta: Alejandra Ofelia Llorente de la Morena.

• Secretaria General: Estefanía Moreno Sinovas.

• Vicesecretaria General: Judith Abad Iglesias.

• Tesorero: José Luis Alonso Berrojo.

• Contadora: Laura Ceballos García.

• Vocal: Marta Bruna del Cojo.

• Vocal: Marta Pérez Torices.

• Vocal: Carlos Manuel Cobo Vázquez.

• Vocal: María Fe Riolobos González.

• Vocal: Ángel Herrera Martín.

• Vocal: Tomás Hernán Pérez de la Ossa.

• Vocal Supernumeraria: Mar Nebot López.

• Vocal Supernumeraria: Borja Díaz Oliver.

En la reunión celebrada el 9 de agosto de 2023, la Junta Electoral, tomando en consideración que solo han concurrido candidaturas únicas a las elecciones a la Junta de Gobierno y a las Juntas

• Vocal Supernumeraria: Paula Paredes Alcántara.

• Suplente: Antonio Montero Martínez.

• Suplente: Ramón Soto-Yarritu Quintana. 

EL COEC PUBLICA UNA NUEVA GUÍA SOBRE URGENCIAS MÉDICAS EN LA CLÍNICA DENTAL

El Colegio de Odontólogos y Estomatólogos de Cataluña (COEC) ha publicado una nueva guía sobre urgencias médicas en la clínica dental en la que explica los pasos a seguir en los diferentes episodios de emergencia que pueden darse durante la práctica clínica. La “Guía de Urgencias Médicas en la Clínica Dental” ha sido elaborada en coordinación con el Dr. Stevens Salva, médico anestesiólogo y médico adjunto en el Hospital Vall d’Hebron de Barcelona. Desde el COEC consideran que se trata de un documento “necesario que todo dentista debe tener a mano cuando está ejerciendo la práctica clínica para que pueda consultarlo rápidamente si es necesario”, resaltando la importancia de “estar preparado para poder establecer un diagnóstico adecuado y

proporcionar una adecuada atención básica inicial”.

A lo largo de los 18 capítulos que comprende esta guía, se recogen las emergencias más frecuentes, así como algunas urgencias menos habituales, pero que implican un posible daño importante para el paciente si no se actúa correctamente. Así, entre algunos de los episodios de urgencia que se encuentran en esta publicación destacan la resucitación y soporte vital básico, la crisis asmática, el síndrome de hiperventilación, la alergia al gabinete dental, la pérdida de conciencia/síncope vasovagal, la crisis convulsiva en el consultorio dental, la aspiración de cuerpo extraño y el accidente vascular cerebral, entre otros. 

actualidad NOTICIAS 68 eldentistamoderno septiembre 2023

LA UNIVERSIDAD DE GRANADA LANZA UN PROGRAMA PIONERO

PARA PROMOVER LA INVESTIGACIÓN EN ODONTOLOGÍA

La Facultad de Odontología de la Universidad de Granada ha lanzado un programa pionero que tiene como objetivo estimular y fomentar el interés y vocación de los jóvenes en la investigación, un campo que suele ser poco explorado en esta especialidad y en el que además se da una falta de docentes jóvenes. Mientras que la mayoría de los estudiantes de Odontología optan por la búsqueda de las opciones más rentables del mercado, este programa busca redirigir el enfoque de estos jóvenes hacia la investigación y la educación. Este plan de formación, coordinado por el catedrático de Estomatología Manuel Toledano, ofrece a los estudiantes de primer y segundo curso la oportunidad de participar de manera voluntaria en diversas líneas de investigación durante su tiempo libre. Las membranas utilizadas en la cirugía de implantes para facilitar el crecimiento del hueso o en la reconstrucción dental con el fin de evitar la formación de grietas entre los empastes y la dentina son algunas de las investigaciones realizadas. 

JOAN SUBIRATS DESTACA LA IMPORTANCIA DE LA FORMACIÓN

A LO LARGO DE LA VIDA

El ministro de Universidades, Joan Subirats, ha destacado la importancia de la formación a lo largo de la vida y facilitar a los alumnos las opciones de reciclarse a través de micro credenciales. Así lo ha comentado en la clausura de la mesa redonda organizada por la Fundación CYD, “¿Qué opina la sociedad española de nuestras universidades?” junto con el presidente del Comité Ejecutivo de la Fundación CYD, Javier Monzón, celebrada el 11 de julio.

La mesa redonda, moderada por Sònia Martínez Vivas, directora de la Fundación CYD, ha contado con la participación de Eva Ferreira, rectora de la Universidad del País Vasco (UPV-EHU), Antonio Iglesias, director general de Endeavor España, Alba Lirón, estudiante y vocal del Consejo de Estudiantes Universitarios del Estado y Rosauro Varo, presidente de GAT Inversiones y vicepresidente de Movistar Plus+. En el acto se ha debatido acerca de los resultados del Barómetro CYD sobre la valoración de la sociedad sobre la calidad del sistema universitario, que recoge la opinión de los ciudadanos sobre la universidad

española y lo que éstos esperan del sistema universitario: cómo valoran su papel en el desarrollo económico y social de España y cómo creen que la universidad aborda los principales retos presentes y futuros. 

actualidad NOTICIAS 70 eldentistamoderno septiembre 2023
Pexels

EL PROYECTO “STOP AZÚCAR-STOP CARIES” RECIBE UN PREMIO DE LA ASOCIACIÓN INTERNACIONAL DE ODONTOPEDIATRÍA

Comorespuesta al alarmante aumento del consumo de azúcar y la amenza que esto supone para las nuevas generaciones, teniendo en cuenta la relación directa entre el abuso de azúcar y la caries dental, una de las enfermedades no transmisibles más prevalentes en el mundo, así como el riesgo de padecer diabetes, obesidad o enfermedades cardiovasculares, el centro de salud Seminario de Zaragoza ha implementado “Stop azúcar-stop caries”, un programa de promoción de la salud bucal que busca generar conciencia sobre el problema entre niños, padres y profesionales sanitarios. Esta iniciativa ha sido reconocida internacionalmente por la Asociación Internacional de Odontopediatría (IAPD) con el premio a la Mejor Propuesta Comunitaria durante su última reunión celebrada en Maastricht. Rosa Tarragó, higienista bucodental en el centro Seminario, fue la encargada de recoger este galardón. Tarragó, que lidera un equipo multidisciplinario compuesto por higienistas, dentistas, farmacéuticos, médicos, pediatras y enfermeros que han desarrollado una estrategia para reducir el consumo de azúcar, ha destacado que “la población no es plenamente consciente de la cantidad de azúcar que se consume diariamente”.

La OMS recomienda que tanto adultos como niños reduzcan su ingesta diaria de azúcar a menos del 10% de su consumo total de energía, lo que equivale a 50 gramos de azúcar (aproximadamente 4 cucharadas al día). Se alienta a reducir aún más esta cantidad a menos del 5% (2 cucharadas) con el tiempo.

Con un enfoque visual y educativo, el programa “Stop azúcares-stop caries” destaca la presencia de azúcares ocultos en los alimentos y

bebidas, además de resaltar la importancia de optar por alternativas saludables. En concreto, se centra en un panel explicativo que muestra los azúcares ocultos presentes en aperitivos, alimentos procesados y bebidas azucaradas, los cuales representan una fuente importante de calorías vacías. Junto a cada producto se exhiben los terrones de azúcar que contienen. Además, se incluye una ilustración que muestra cómo se produce la caries, así como códigos QR que enlazan con el “reloj Stop caries”, un panel que presenta alternativas de alimentos saludables, como frutas, yogur natural o frutos secos. 

EL RD 659/2023 SUPRIME LAS ACREDITACIONES PROFESIONALES EN HIGIENE BUCODENTAL

El pasado 23 de julio entró en vigor el Real Decreto 659/2023, de 18 de julio, por el que se desarrolla la ordenación del Sistema de Formación Profesional. Dicha norma introduce una importante novedad en la Formación Profesional a nivel nacional: la supresión de las acreditaciones de las competencias profesionales adquiridas por experiencia laboral u otras vías no formales en las profesiones reguladas como son los Técnicos Superiores en Higiene Bucodental. De esta forma, el legislador acoge por fin la reivindicación que la Unión de Colegios Profesionales de Higienistas de España ha venido realizando de forma constante durante los últimos años, en sus informes y en las reuniones mantenidas con los principales grupos políticos del Congreso, del Senado, de las Comunidades Autónomas y con la Dirección General de Ordenación Profesional.

La Unión de Colegios siempre ha defendido que, si bien el sistema de acreditaciones es una excelente herramienta en otras profesiones, en el caso de los higienistas dentales supondría “un grave riesgo para la salud de la población al acreditar el trabajo de personas que sin formación suficiente hubieran trabajado en la boca de un paciente, lo cual fomentaría además el intrusismo profesional de esta profesión”. Por ello, la Unión había solicitado en sus dictámenes jurídicos y en las reuniones con la Administración, la modificación legislativa para excluir a las profesiones sanitarias de este sistema, y ha ido informando a los poderes públicos de la concesión que, de forma errónea, se estaba realizando de dichas acreditaciones en algunas Comunidades Autónomas. Estos trabajos de la Unión Profesional de Higienistas Dentales de España finalmente han supuesto la modificación legislativa. 

71 eldentistamoderno septiembre 2023
Pexels

LOS NIÑOS QUE RESPIRAN POR LA BOCA PUEDEN TENER

PROBLEMAS EN SU DESARROLLO BUCODENTAL

Los problemas bucodentales en los niños son unas de las principales causas de absentismo escolar. El dentista, además de tratar caries, traumatismos dentales y maloclusiones, también detecta otras afecciones que pueden requerir tratamiento, como la respiración bucal, un hábito que puede tener consecuencias para la salud bucodental y general del niño:

• Cambios en el rostro: respirar por la boca altera el crecimiento y desarrollo de los maxilares. La respiración bucal está relacionada con la mordida abierta, el paladar estrecho y la mandíbula retraída.

• Dientes mal alineados: la respiración oral puede afectar a la posición de los dientes, que pueden torcerse y apiñarse, lo que dificulta la higiene y aumenta el riesgo de caries y enfermedades de las encías.

• Problemas de mordida: los niños que respiran por la boca a menudo tienen problemas mandibulares que les generan dificultades para morder y masticar los alimentos de manera eficaz.

• Deshidratación oral: la respiración bucal provoca sequedad en la boca y disminuye la producción de saliva, creando una propensión a padecer caries, mal aliento y acumulación de bacterias.

• Ronquido y tos nocturna: al no respirar por la nariz, cuando el niño se tumba le resulta difícil respirar y tener un sueño reparador.

• Apnea del sueño: la apnea es una pausa respiratoria que se produce al dormir e impide una buena oxigenación y descansar correctamente.

• Irritabilidad, falta de atención y cansancio.

• Otitis de repetición y baja audición.

Una respiración anómala

Que un niño respire por la boca puede deberse a varias causas, como rinitis alérgica, sinusitis, desviación del tabique nasal, infecciones respiratorias, vegetaciones o amígdalas demasiado grandes, e hipotonía muscular. La respiración nasal tiene una función de defensa. Cuando el aire entra por la nariz, los vellos nasales lo filtran y detienen la entrada al organismo de partículas de polvo, virus, bacterias y hongos. Además, las fosas nasales calientan y humidifican el aire, evitando que entre demasiado frío, y se estimula la producción de óxido nítrico, sustancia que facilita la distribución y la absorción de oxígeno por los pulmones. “En la respiración bucal no se produce ninguna de estas funciones. Respirar por la boca conlleva inspirar un aire más contaminado, no atemperado y seco. Por lo tanto, si se observa que el niño respira de esta forma, hay que consultar al dentista y al médico para que lo evalúen e indiquen el tratamiento adecuado para solucionar el problema y evitar sus consecuencias”, explica el Dr. Óscar Castro Reino, presidente del Consejo General de Dentistas. 

¿CÓMO PUEDE AFECTAR LA VUELTA AL COLE A LA SALUD BUCODENTAL?

La vuelta al cole cambia la rutina después de las vacaciones, y este cambio de hábitos puede suponer que descuiden su higiene dental, al pasar menos tiempo en compañía de sus familias. En especial, las niñas y niños que almuerzan en comedores escolares. Además también intervienen factores psicológicos como el estrés que puede generar el regreso a la actividad escolar como es el caso del bruxismo, la presión excesiva que provoca que los dientes rechinen, se aprieten o crujan, generalmente durante el sueño nocturno. Un problema que provoca la erosión del esmalte dental y favorece la aparición de caries y fracturas.

Otro factor es la práctica deportiva que puede derivar en traumatismos y pequeñas lesiones de carácter dental y mandibular.

La Dra. Elena Espada, responsable científica de Fluocaril en España, nos ofrece seis recomendaciones que debemos tener en cuenta para que nuestras niñas

y nuestros niños vuelvan de la escuela con una amplia sonrisa.

• Realizar una revisión con el odontólogo a la vuelta de las vacaciones y antes del inicio del curso escolar para comprobar que no existe ningún problema de salud dental.

• Contar con un kit de higiene dental fácil de transportar con, al menos, cepillo y pasta de dientes, especialmente si almuerzan en el comedor escolar.

• Reforzar la educación en buenos hábitos. Aprovechar el final del desayuno o la noche para cepillarnos los dientes con ellos, insistiendo en la importancia para su salud.

• Convertir las rutinas de higiene dental en algo divertido. Utilizar cepillos de dientes con diseños coloristas e introducir juegos pueden ayudar a la motivación de los niños.

• Beber suficiente agua. Además de hidratar, el agua ayuda a eliminar los restos de comida de la boca y las manchas en el esmalte.

• Plantearse la utilización de protectores bucales si el niño o la niña practica deportes de contacto en sus actividades escolares o extraescolares. Hay que tener especial cuidado con las niñas y niños con ortodoncia. 

actualidad NOTICIAS 72 eldentistamoderno septiembre 2023
Pexels
Pexels

FENIN Y SOCIEDADES CIENTÍFICAS SIENTAN LAS BASES

PARA GARANTIZAR LA MÁXIMA EFICIENCIA EN EL USO DE EQUIPOS DE RADIODIAGNÓSTICO

Con el fin de garantizar la máxima eficiencia de los equipos de radiodiagnóstico utilizados en los centros sanitarios, la Sociedad Española de Protección Radiológica (SEPR), la Sociedad Española de Física Médica (SEFM) y la Sociedad Española de Radiología Médica (SERAM), en colaboración con la Federación Española de Empresas de Tecnología Sanitaria (Fenin), han elaborado el informe “Pruebas de aceptación de equipos de diagnóstico por la imagen – Equipos de Tomografía Computarizada”.

Al poner en marcha el uso clínico de cualquier nuevo equipamiento en centros sanitarios, es de vital importancia para todas las partes involucradas —compañías fabricantes, gestores de los centros, profesionales sanitarios, pacientes, etc.— que dicho proceso se realice en el menor tiempo posible, por lo que el número, el alcance y la definición de pruebas a realizar durante su implantación han de estar claramen-

te determinadas con anterioridad. Por este motivo, la Federación, junto a SEPR, SEFM y SERAM crearon, hace ya cerca de una década, un grupo de trabajo cuyo objetivo reside en la elaboración de una serie de documentos de consenso sobre las “Pruebas de aceptación de equipos de diagnóstico por la imagen”, con el fin de identificar los procesos que aporten las debidas garantías antes del uso clínico. Respecto al nuevo documento ahora elaborado, persigue aglutinar la experiencia y el conocimiento en este campo de las empresas fabricantes del Sector de Tecnología Sanitaria y de las sociedades científicas, a través de una serie de recomendaciones acerca de las pruebas comprobatorias a realizar, que constituyan la base de la aceptación de los equipos de tomografía computarizada con la finalidad de garantizar la máxima seguridad y calidad de los mismos. 

CASI MEDIO CENTENAR DE DENTISTAS SE REÚNEN EN SANTANDER DURANTE LA JORNADA DE TRAUMATOLOGÍA DENTAL ORGANIZADA POR AEDE

La traumatología dental volvió a ser la protagonista durante el último evento organizado por la Asociación Española de Endodoncia (AEDE), que ha tenido lugar en el Colegio Oficial de Odontólogos y Estomatólogos de Cantabria. Casi medio centenar de dentistas se dieron cita en Santander para continuar formándose en esta materia de la mano de Fernando Durán-Sindreu, María Zanón y Alberto Cabrera, que abordaron temas como las reabsorciones o la atención en la dentición temporal.

El programa dio comienzo el viernes 9 de junio con una jornada gratuita dirigida a profesores, deportistas, bomberos, policías y ciudadanía en general para enseñarles los protocolos a seguir en caso de salida de un diente tras un golpe en la boca. El sábado le llegó el turno a la parte dirigida exclusivamente a odontólogos. La jornada arrancó con la inauguración a cargo del presidente de AEDE, Leopoldo Forner, y del presidente del Colegio de Odontólogos y Estomatólogos de Cantabria, José del Piñal, antes de

dar paso al programa formativo. El tesorero del Colegio cántabro, Ignacio Rodríguez, se encargó de las presentaciones de los ponentes de la cita. Fernando Durán-Sindreu, jefe del Departamento de Endodoncia de la Universitat Internacional de Catalunya, fue el encargado de romper el hielo con su ponencia sobre el diagnóstico y manejo de reabsorciones dentales.

La mañana continuó con la intervención de María Zanón, odontopediatra de la Unidad de Traumatología Dental y Autotrasplante de Barcelona, que centró su charla en las consideraciones clínicas de los traumatismos en dentición temporal. Finalmente, el último ponente fue Alberto Cabrera, el ganador de la beca de posgrado de AEDE en 2021, que trasladó a los asistentes la importancia de una correcta actuación de emergencia en traumatología dental. La guinda llegó con el debate final, que dejó un gran sabor de boca que durará hasta la próxima cita de AEDE, el 43 Congreso Nacional, que tendrá lugar en Tenerife del 2 al 4 de noviembre. 

73 eldentistamoderno septiembre 2023

LA ASOCIACIÓN IBEROAMERICANA DE ORTODONCISTAS CELEBRA SUS VI JORNADAS INTERNACIONALES EN SEVILLA

Desde su fundación en 1978, la Asociación Iberoamericana de Ortodoncistas (AIO) trabaja por promover el avance científico de la ortodoncia y estrechar los lazos de unión entre los ortodoncistas de los países iberoamericanos, promoviendo el intercambio científico. Hasta la fecha, la AIO ha celebrado 24 congresos y 10 simposios internacionales, siendo el próximo encuentro las VI Jornadas Internacionales de la AIO que se celebrarán en Sevilla los días 27 y 28 de octubre de 2023. El tema principal es “Tratamiento interdisciplinar en Ortodoncia: Flujo Digital”, contando con un panel

de conferenciantes de primer nivel en cada una de esas terapias: Mauricio González, Ramón Mompell, Arturo Vela, Manuel Román, Isabel Cervera, Saúl González, Elvira Antolín, y duetos tan importantes como Beatriz y Patricia Solano o Nacho y Vicente Faus, entre otros muchos más compañeros, que compartirán sus avances conseguidos en equipos interdisciplinares de gran excelencia y manejo del flujo digital en las diferentes terapias, desde Orto-Perio, Orto-Prosto, Orto-Cirugía, Orto-Anclaje óseo en tratamientos combinados con brackets o alineadores. Más información e inscripciones en la web de la Asociación Iberoamericana de Ortodoncistas  www.iberortodoncia.com  y en la web del evento www.jornadasaio.com 

La Sociedad Española de Ortodoncia y Ortopedia Dentofacial (SEdO) ya ha desvelado todos los ponentes que participarán en su II Congreso de Alineadores y Nuevas Tecnologías. Este evento reunirá los días 22 y 23 de septiembre en Santiago de Compostela a profesionales de la odontología y ortodoncia de todo el país, así como a expertos internacionales, para compartir conocimientos, experiencias y avances en el campo de los alineadores y las nuevas tecnologías aplicadas a la ortodoncia.

Entre los más de 25 ponentes que estarán presentes en el evento, se encuentran expertos nacionales de primer nivel, como los doctores Manuel Román, Arturo Vela, Iván Malagón, Juan Carlos Pérez Varela (presidente de la SEdO), Mariano Follana, Esmeralda Herrero, Romina Vignolo Lobato, Gemma López, Toni Ortoneda y Ana de la Torre, entre otros. Pero si algo caracteriza el rumbo que está siguiendo la Sociedad en los últimos años, es su internacionalización y el hecho de que sus congresos, cada vez más profesionalizados y multitudinarios, despiertan el interés de profesionales fuera de nuestras fronteras. Cada vez son más los ponentes internacionales que desean participar en uno de estos eventos y, en el caso de SEdO Santiago 2023, los asistentes podrán aprender de la mano de los doctores Simon Graf, Matthias Peper y André El Zoghbi, entre otros.

El Comité Organizador, encabezado por los doctores Manuel Román, Eduardo Espinar y Juan Carlos Pérez Varela, ha preparado un programa científico completo y diverso que incluirá conferencias magistrales, debates y una ‘maratón’ de presentaciones de casos clínicos. Los asistentes tendrán la oportunidad de actualizarse sobre las últimas tendencias y técnicas en el uso de alineadores, así como explorar las innovaciones tecnológicas que están transformando el ámbito de la ortodoncia. Durante el II Congreso de Alineadores y Nuevas Tecnologías, se abordarán temas de gran relevancia para la práctica clínica, como el diseño y fabricación de alineadores personalizados, la integración de tecnologías digitales y la inteligencia artificial en el flujo de trabajo ortodóncico, y la gestión de casos complejos con alineadores. Además, se analizarán las ventajas y limitaciones de estas técnicas, así como su impacto en la eficacia y resultados de los tratamientos ortodóncicos.

Los participantes también podrán disfrutar de un espacio de networking y colaboración, donde podrán intercambiar ideas, establecer contactos profesionales y fortalecer su red de colegas en el campo de la ortodoncia. Será una oportunidad única para aprender de los mejores y ampliar horizontes en el campo de la ortodoncia. Igualmente, la industria estará presente con stands de las principales casas en la exposición comercial. 

actualidad NOTICIAS 74 eldentistamoderno septiembre 2023
MÁS DE 25 PONENTES DE PRIMER NIVEL PARTICIPARÁN EN EL II CONGRESO DE ALINEADORES Y NUEVAS TECNOLOGÍAS DE LA SEDO
22 Y 23 2023 Congreso | Santiago D Manuel Román Diego D Ma ia Follana ig óp oghbi Ign gón gel N eper ¡NO te lo pienses más! APROVECHA
300€
LA TARIFA R EDUC DA H ASTA E L 31 DE AGOSTO 2023 desde
SEDOSANTIAGO.COM

FUNDACIÓN SANITAS, SANITAS DENTAL Y LA CEAR COLABORAN

PARA GARANTIZAR EL BIENESTAR DE LAS PERSONAS REFUGIADAS

Fundación Sanitas, Sanitas Dental y la Comisión Española de Ayuda al Refugiado (CEAR) colaboran para cubrir las necesidades de salud mental y bienestar emocional, así como el cuidado bucodental, de las personas refugiadas que viven en territorio español. Fundación Sanitas recuerda que apoyar a este colectivo no solo es un acto de solidaridad, sino también una llamada a la responsabilidad compartida para proteger tanto sus derechos como su dignidad. En este sentido, Fundación Sanitas, Sanitas Dental y la Comisión Española de Ayuda al Refugiado (CEAR) colaboran para cubrir las necesidades de salud mental y bienestar emocional, así como su cuidado bucodental en las clínicas dentales de Sanitas.

“La ayuda humanitaria debe ser una responsabilidad compartida que, como ciudadanos corporativos, debemos asumir. No solo trabajamos ofreciendo asistencia sanitaria en aquellos casos que así lo requieren, nuestra labor va más allá. Las tareas de concienciación y formación son también fundamentales para ayudar a estos colectivos. Trabajamos también con un fuerte compromiso en la prevención”, ha asegurado Yolanda Erburu, directora general de Fundación Sanitas.

Bajo este escenario, CEAR, Fundación Sanitas y Sanitas Dental llevan a cabo un proyecto conjunto desde 2022 con dos líneas de trabajo diferenciadas. Por un lado, Fundación Sanitas apoya a 79 niños y jóvenes refugiados en su proceso de integración social mediante acompañamiento psicosocial y psicoeducativo. Por otro lado, como parte de la estrategia de voluntariado corporativo, Sanitas Dental ha ofrecido de forma gratuita tratamientos bucodentales a más de 90 refugiados en sus clínicas. Hasta la fecha, han participado más de 40 profesionales asistenciales en las ciudades de Madrid, Málaga, Valencia y Sevilla.

“La salud bucodental y la general están íntimamente relacionadas y cada vez tenemos más estudios que dan muestra de ello. Es un orgullo poder contribuir a mejorar la salud de este colectivo facilitándoles el acceso a los tratamientos bucodentales, ya que con ello mejoramos también su calidad de vida. Continuaremos con estas acciones en otras ciudades españolas donde también estamos presentes a través de nuestra red de clínicas dentales”, ha explicado Jesús Bonilla, director general de Sanitas Dental. “En Fundación Sanitas estamos comprometidos con la consecución de los ODS y el 3, relacionado con la salud y el bienestar, es uno de los objetivos en los que más podemos aportar a la sociedad, como empresa especialista en salud. Así pues, trabajar conjuntamente con CEAR nos enorgullece y es algo con lo que la organización se compromete desde la propia labor asistencial de nuestros centros”, explica Yolanda Erburu. 

EL COLEGIO DE DENTISTAS DE SEVILLA FINALIZA LA ATENCIÓN BUCODENTAL A NIÑOS UCRANIANOS CON EL OBJETIVO DE CONTINUAR LA ACCIÓN SOCIAL

Un total de 11 dentistas colegiados de la provincia de Sevilla han revisado y tratado la salud bucodental de 20 niños ucranianos, con edades comprendidas entre los 5 y los 18 años, que se encontraban en Sevilla gracias a la labor de la ONG Infancia de Nad, con la que el Colegio Oficial de Dentistas de Sevilla (CODS) ha firmado un acuerdo.

La campaña de revisiones comenzó el pasado 14 de junio y se ha prolongado durante cinco semanas, desarrollándose en la sede del Colegio. 

75 eldentistamoderno septiembre 2023

ALIGN TECHNOLOGY ABRE UN NUEVO CENTRO DE FORMACIÓN EN EUROPA

Align Technology, la compañía de dispositivos médicos que diseña, fabrica y comercializa el sistema Invisalign de aligners transparentes, los escáneres intraorales iTero™ y el software CAD/CAM exocad para ortodoncia digital y odontología restaurativa, ha anunciado la apertura de su nuevo Centro de Formación para doctores formados en Invisalign en Breslavia (Polonia).

La inversión complementa las instalaciones abiertas anteriormente de Align en Breslavia: un centro de planificación de tratamientos Invisalign, la primera planta de fabricación en Europa, así como oficinas comerciales. El compromiso a largo plazo con el mercado polaco refleja el apoyo de Align Technology a los doctores formados en el sistema Invisalign en Polonia y en toda Europa, y el compromiso de la marca con la educación y la digitalización de la odontología para ayudar a los profesionales a transformar sonrisas y cambiar vidas. El nuevo centro brindará programas continuos de educación clínica dedicados para los profesionales de la odontología en Europa y destacará los beneficios de integrar las soluciones digitales de Align en sus

HENRY SCHEIN PUBLICA LA EDICIÓN 2022 DE SU INFORME DE SOSTENIBILIDAD Y RSC

Henry Schein publica su informe de 2022 sobre sostenibilidad y responsabilidad social corporativa (RSC) bajo el título “Ofreciendo soluciones para un futuro más saludable”.

Como parte del trabajo de la empresa para mejorar la transparencia, Henry Schein informó de sus esfuerzos en materia de sostenibilidad en 2022 de acuerdo con el Sustainability Accounting Standards Board y los Global Reporting Initiative Standards. El informe de RSC destaca los esfuerzos de Henry Schein por promover prácticas empresariales responsables y lograr un impacto positivo en la sociedad.

“A lo largo de los más de 90 años de historia de Henry Schein, hemos mantenido nuestro compromiso con nuestros cinco constituyentes: clientes, socios pr’oveedores, inversores, miembros del equipo Schein y la sociedad en general”, afirma Stanley M. Bergman, Chairman of the Board y Chief Executive Officer de Henry Schein, Inc.

“Guiados por nuestra misión orientada hacia un propósito y un modelo de mayor ambición, continuamos operando como una organización socialmente responsable y sostenible que busca seguir ofreciendo soluciones para un futuro más saludable. El informe de este año refleja estos compromisos y esperamos continuar desarrollando esta actividad en los próximos años”, añade. 

clínicas. Los doctores tendrán la oportunidad de conectarse con sus compañeros de profesión, así como de intercambiar conocimientos sobre casos de Invisalign y la digitalización de sus consultas. 

CURSOS DE BIOHORIZONS CAMLOG

BioHorizons Camlog celebrará el próximo 3 de noviembre en el Hotel El Coso del Mar en Valencia “The Spot Study Club Levante: El implante y su carga inmediata como clave para el mantenimiento de la arquitectura gingival y la reducción del tiempo de tratamiento”.

En esta nueva edición del Study Club Levante, los doctores Rodrigo Andrés y Juan Manuel Vadillo presentarán un taller teórico–práctico en el que se discutirán conceptos avanzados sobre el implante inmediato post-extracción en el desdentado parcial, así como conceptos avanzados sobre la restauración inmediata del implante colocado post-extracción en el desdentado parcial.

Entre los próximos cursos propios y patrocinados por BioHorizons Camlog también se celebrarán el Webinar Curso modular en gestión dental aplicada - Módulo II: Gestión económica (29 de septiembre, Online) y el Webinar Curso modular en gestión dental aplicada - Módulo III: Comunicación con el paciente y cómo hablar de dinero (13 de octubre, Online). 

actualidad NOTICIAS 76 eldentistamoderno septiembre 2023
SOCIEDADES
EMPRESAS
EVENTOS,
Y
w w w.ordax.com

novedades

Oral-B lanza los nuevos X -filaments

Cambiar regularmente el cabezal del cepillo es fundamental para una limpieza eficaz, pero la realidad es que el 50% de los usuarios de cepillos eléctricos nunca compra recambios, utilizando durante demasiado tiempo uno excesivamente desgastado. Cuando los filamentos se abren ya no limpian correctamente. Un cabezal desgastado elimina el 29% menos de placa en la línea de las encías y un 24% menos en el espacio interdental. Por esta razón, los dentistas recomiendan cambiar los cabezales de los cepillos cada 3 meses.

Los nuevos cabezales de Oral-B cuentan con filamentos en forma de X clínicamente probados que se adaptan y llegan a todas las superficies de los dientes para una limpieza más profunda, atrapando la placa que los filamentos normales no pueden alcanzar.

Las cerdas de los nuevos X -filaments tienen forma de X para llegar a áreas donde las cerdas redondeadas no pueden, mejorando la limpieza en un 14,8% vs filamentos redondos.

Los estudios con consumidores lo avalan: “Llega mucho más profundo y accede mejor a la parte trasera de mis dientes. Se siente la boca más limpia”.

Esta nueva tecnología de Oral-B combina distintos tipos de filamentos para proporcionar un cuidado extra de las encías con suavidad para una experiencia de cepillado más agradable y eficaz. Además, cuenta con la certificación ISCC que avala que los cabezales están hechos en un 80% de bioplásticos.

Los nuevos X -filaments combinan dos tecnologías diferentes:

1. CleanMaximiser: cambio de color que convierte los filamentos verdes en amarillos cuando llega el momento de su reemplazo.

2. Nuevas cerdas en forma de X: se adaptan y llegan a todas las superficies de los dientes para una limpieza más profunda, atrapando la placa que los filamentos normales no pueden alcanzar.

Oral-B lanza los nuevos X -filaments, que combinan la tecnología de cambio de color CleanMaximiser con nuevas cerdas en forma de X.

Oral-B www.oralb.es

IPG Dental Group, distribuidor oficial en España de Zarc4Endo, celebra el lanzamiento mundial de BlueShaper Pro® en el marco de la 21ª edición del Congreso Bienal de la Asociación Europea de Endodoncia (ESE). Este evento, que reúne a los principales profesionales del campo de la endodoncia a nivel global, ha tenido lugar del 6 al 9 de septiembre en el Messukeskus de Helsinki. BlueShaper Pro®, desarrollado por Zarc4Endo, es una innovadora lima, con la tecnología Dual Wire®, que combina dos tratamientos térmicos en una única lima. “Gracias a su punta Gold, BlueShaper Pro® garantiza una precisión y eficiencia de corte excepcionales sumado a su increíble flexibilidad”, destacan desde IPG. Como parte de la celebración de este lanzamiento mundial, IPG ofrece una oferta especial para los profesionales de la endodoncia. Los que adquieran 4 blísteres de BlueShaper Pro® recibirán un

NeoSealer Flo® de regalo. Además, los 100 primeros tendrán la oportunidad de participar en un sorteo donde podrán ganar 250 euros para gastar en la e-commerce de IPG antes del 31 de diciembre.

Congreso Bienal de la ESE

Durante el Congreso ESE 2023, Zarc4Endo ha exhibido, además del lanzamiento de BlueShaper Pro®, una amplia gama de productos, desde equipos hasta materiales fungibles, que incluyen las limas BlueShaper ® y las nuevas Excalibur ®, ApicalShaper ® y SlimShaper ®.

MATERIALES, INSTRUMENTAL Y EQUIPO 78 eldentistamoderno septiembre 2023
IPG Dental Group www.ipgdental.com
Zarc4Endo presenta su nueva lima BlueShaper Pro® con dos tratamientos térmicos en una sola lima

Instrucciones para publicar en “El Dentista Moderno”

OBJETIVOS

El Dentista Moderno es una publicación dirigida al odontólogo profesional. Sus objetivos son la difusión y el intercambio de los conocimientos más avanzados en el campo dental, buscando alcanzar una actualización permanente sobre todas las cuestiones que atañen a su profesión con especial importancia en la actividad clínica.

TIPOLOGÍA DE LOS ARTÍCULOS

El Dentista Moderno, se rige por las normas de calidad para la indexación de revistas científicas españolas, buscando principalmente los siguientes tipos de artículos:

n Artículo de investigación científica y tecnológica. Documento que presenta, de manera detallada, los resultados originales de proyectos terminados de investigación.

n Artículos sobre descripciones de nuevas metodologías o técnicas y/o materiales.

n Artículos sobre casos clínicos. En los que se espera que se presenten situaciones clínicas particulares tanto por sus hallazgos como por su tratamiento.

n Artículos de revisión sobre literatura ya publicada.

POLÍTICAS EDITORIALES

n Originalidad.

Todos los artículos o reseñas que se sometan al proceso de arbitraje de El Dentista Moderno deben ser inéditos. Solicitamos a los autores abstenerse de remitir trabajos que ya han sido publicados parcial o completamente por otros medios -salvo publicaciones en línea de documentos de trabajo (working papers)- o en traducciones a otros idiomas. Si se detectan evidencias de documentos similares o idénticos ya publicados, el trabajo será rechazado automáticamente.

n Sistema de arbitraje.

Todos los artículos que se presenten a la revista para sus ediciones serán sometidos a un proceso de arbitraje “doble ciego” que se realizará con ayuda de pares expertos en cada temática. La participación de los pares será ad honórem y se espera que sea asumido como un pacto de reciprocidad académica, en el que se intenta aportar de manera constructiva a fortalecer (y validar) la investigación y los aportes de otros colegas dentro de la disciplina. En el caso de las reseñas, que son documentos de difusión, podrán ser revisadas por el editor mismo o por otros miembros del equipo editorial de la revista. Su publicación se decidirá de acuerdo con su coherencia temática y textual, su relevancia para el área o según el interés o vigencia de la discusión que proponga. n Exclusividad.

Los artículos que se sometan a arbitraje en El Dentista Moderno no pueden estar siendo evaluados por otras revistas, ni deben presentarse de manera simultánea a otros procesos de arbitraje. n Confidencialidad.

Como el arbitraje se realizará a través de un sistema “doble ciego”, con el fin de garantizar una mayor independencia de la partes (ni los autores ni los evaluadores tendrán entre sí datos de su identidad, perfil académico o procedencia), esa información solo será tratada por los responsables de la revista y no se revelará a terceras partes. Los soportes del proceso de cada artículo se conservarán para efectos de indexación o verificación del arbitraje.

PAUTAS DE PRESENTACIÓN

La solicitud de publicación de cualquier trabajo debe ir acompañada de una carta, firmada por los autores, donde se exponga y declare que el artículo es original y que no está sujeto a una posible publicación en otras revistas. Al mismo tiempo, se debe ceder la propiedad literaria a la editorial, que podrá disponer del trabajo para su publicación en su totalidad o en parte, en España y en el extranjero, sin previa comunicación a los autores.

Si el artículo aparece encabezado por una Institución, la carta debe contener la aprobación del director o de otro posible responsable de la misma.

Los artículos deberá atenerse al siguiente estructura:

n Título y eventual subtítulo:

En una página aparte, con nombres y apellidos de los autores y sus diferentes datos de contacto: teléfono, fax y eventual dirección de e-mail. El título podrá sufrir, por necesidades de espacio, pequeñas variaciones de redacción.

n Resumen:

Deben ser de 250 palabras y comprender, en forma discursiva, los siguientes subcapíulos: objetivos, metodología, resultados y conclusiones para las investigaciones originales; En el caso de las actualizaciones de la literatura ya publicada, deben comprender: objetivos, datos, fuentes, selecciónde los artículos analizados y conclusiones.

n Palabras clave: En la página del título deberán incluirse también las palabras clave, hasta un máximo de diez.

n Introducción:

Repasará de manera concisa las problemáticas en cuestión mediante una sucinta revisión de la bibliografía reciente y pertinente, el estado actual de los conocimientos y los fines y los objetivos de la investigación propuesta.

n Materiales y metodología:

Se realizará una descripción detallada de los materiales y las metodologías utilizadas. Si las metodologías son ya utilizadas por otros autores es necesario mencionar el trabajo de las que se extraen.

n Resultados:

Exponer de manera clara y concisa los resultados del trabajo, si fuera posible con un análisis estadístico detallado y con la ayuda de oportunas tablas y gráficos.

n Debate:

Recogerá los comentarios de los resultados obtenidos y las comparaciones con otros presentes en literatura. En el debate deberán estar presentes las virtudes y los límites de la metodología utilizada, la importancia de los resultados y sus cotejos clínicos, las hipótesis y las implicaciones futuras.

n Conclusiones:

Significación de los resultados y su aplicabilidad clínica.

n Idiomas:

Serán aceptados los artículos escritos en español y en inglés.

n Extensión:

Los artículos podrán tener una extensión mínima de cuatro mil palabras (4000) y máxima de ocho mil (8000). Las reseñas críticas no deben superar las mil quinientas palabras (1500).

79 eldentistamoderno septiembre 2023
instrucciones para publicar

n Formato del texto:

El texto ha de enviarse en Word o rtf, con las tablas y gráficos elaborados con Office pegados en ellos. Además de pegarlas en el Word (rtf, odt...), las fotos y otros materiales gráficos deben enviarse aparte [siempre en la versión

n ORIGINAL

De la aplicación utilizada: Photoshop, PowerPoint, Acrobat, Excel...]. Las fotos y capturas deben ir en ficheros jpg, con una resolución de unos 300 ppp (para tener una idea, cada foto, ilustración o pantallazo en jpg debe tener unos 200 KB como mínimo). También se admiten ilustraciones en pdf (siempre con el fichero original pdf separado, y además pegadas en el Word).

Nota muy importante: Una vez pegadas en el Word (o rtf, odt...) las imágenes ya no pueden publicarse impresas en papel. Por ello no puede cumplirse el requisito anterior de enviar ficheros sueltos jpg a base de volver a copiar una imagen ya pegada.

n Vídeo:

Se aceptan películas con los siguientes requisitos: Formato: Flash vídeo; resolución: 640X480 pixel -24 frame/segundo; video mínimo: 750 kbit/sec; audio mínimo: 64 kbit/sec. Duración máxima 5 minutos. Los vídeos serán incluidos en la versión digital de la publicación.

n Envío:

Junto con el artículo, cada uno de los autores incluirá un breve curriculum con sus datos de contacto. El archivo original y sus adjuntos deben ser remitidos a la atención del editor de la revista y al correo electrónico: silvia.decastro@tecnipublicaciones.com.

ESTILO DE CITACIÓN: BMJ-NORMAS VANCOUVER

n Cuerpo del texto:

Aunque no es necesario en las Normas Vancouver mencionar al autor (es) cuando se hace una referencia en el cuerpo del texto, El Dentista Moderno, para evitar confusiones gramaticales o de redacción, prefiere que en la mayoría de los casos se mencionen los apellidos de los autores de los cuales se están tomando ideas, y después se inserte entre corchetes el número de la referencia completa que debe aparecer en el listado final del artículo. Por ejemplo: “Ortiz [1] presenta una metodología para el análisis de este tipo de problemas”. A propósito, todas las referencias que se incorporen en el cuerpo del texto deben relacionarse en la lista de referencias del final del artículo. Igualmente, en el listado de referencias no debe aparecer bibliografía que no se haya usado y citado en el texto (es decir, la correspondencia entre ambas partes debe ser exacta). Las referencias que se vayan incorporando en el texto se deben numerar por orden de aparición entre corchetes “Ortiz [1], Grothendieck [2], Gómez [3] “, y deben organizarse de esa forma en el listado final, no por orden alfabético. Por último, si una misma referencia se usa varias veces en el cuerpo del texto pero es necesario incorporar nueva información sobre el apartado del texto al que se refiere o alguna otra particularidad, se debe indicar luego del número de la referencia, así: “Ortiz [1, p. 84] o Ortiz [1, Fig. 16]”.

n Listado de referencias:

El listado de referencias debe organizarse por orden numérico que se determina de acuerdo con la aparición de cada referencia en el texto (el primer autor o texto que se cita es el número [1], el segundo el [2] y así sucesivamente). A diferencia de otros estilos, como no hay una organización alfabética de las referencias por apellido, los nombres de los autores deben registrarse comenzando por el apellido y las iniciales de su nombre: “[2] Grotendieck A.”.

A continuación, mostraremos el esquema de cómo se debe citar

un libro, un capítulo de libro y un artículo de revista, con algunos ejemplos para cada caso:

n Libro:

Apellidos AA. Título. # ed. Ciudad: Editorial; año.

[1] Gardner E, Simmons MJ, Snutad DP. Principies of genetics. 8th edition. New York: John Willey & sons; 1995.

n Capítulo libro:

Apellidos AA, Apellidos BB. Título del capítulo o la entrada. En: Apellidos AA, Apellidos BB, editores. Título del libro. Ciudad: Editorial; año. p. xx-xx.

[1] Prins R, Clarke RT. Microbial ecology or the rumen. En: Ruckebusch P, Thivend B, editors. Digestive physiology and metabolism in ruminants. 2a ed. Wesport,Connecticut: AVI Publishing company; 1980. p. 179-204.

n Artículo revista:

Apellidos AA, Apellidos BB, Apellidos CC. Título del artículo. Título. Rev. Año; volumen(número): xx-xx.

[1] Corona M, Díaz G, Paez J, Ferré Z, Ramones E. Extracción y caracterización de pectinas de la corteza de parchita. Rev. Odont. 1996; 13(6): 785-791.

Las Normas Vancouver sugieren que las revistas que se citen en la lista de referencias aparezcan en su forma abreviada, por lo tanto El Dentista Moderno sugiere que se revisen los siguientes enlaces:

http://www.erevistas.csic.es/especial_revistas/revistas54.htm

http://www.metodo.uab.cat/docs/Requisitos_de_Uniformidad.pdf

http://www.metodo.uab.cat/docs/Requisitos_de_Uniformidad_ Ejemplos_de_referencias.pdf

NOTA LEGAL

Las perspectivas o puntos de vista expresados en los artículos y textos que publica El Dentista Moderno son responsabilidad de sus autores y no comprometen en ninguna medida a la revista, a la Grupo TecniPublicaciones. Asimismo, el propósito fundamental de la revista es prestar un servicio a la comunidad académica y al avance del conocimiento en odontología, por lo que el proceso de selección del material que publica contempla aspectos académicos, editoriales y legales que son evaluados en cada caso para decidir sobre los manuscritos que se reciben. Supeditada a estos factores, la revista no está obligada a la publicación de ningún texto y podrá declinar su publicación en cualquier fase del proceso, si estima que no corresponde a su línea editorial o si contradice alguna de sus políticas editoriales. De igual forma, cualquier reclamación por parte de terceros en relación al uso de obras o extractos de ellas en un artículo o texto, será responsabilidad de los autores exonerando así al Grupo TecniPublicaciones.

REPRODUCCIÓN Y TRADUCCIONES

Si usted desea reproducir o traducir un artículo o texto publicado en El Dentista Moderno,o si desea solicitar autorización para que sea difundido por alguna página web o repositorio institucional,por favor escriba al correo electrónico de la revista (documentacion@tecnipublicaciones.com), a la atención de la directora de Documentación. Los textos publicados en la revista, no obstante, no requieren una autorización especial para que sean reproducidos parcialmente en textos académicos, siempre y cuando se citen adecuadamente, relacionando sus autores, año de publicación, volumen y número en el que fueron publicados originalmente. Cualquier otro tipo de utilización requerirá de la autorización previa y expresa de la Editorial.

instrucciones para publicar 80 eldentistamoderno septiembre 2023

Oferta

DESDE EL 1 DE SEPTIEMBRE HASTA EL 31 DE OCTUBRE DE 2023

¡Flash Renove! CIRUGÍA

¿Estás pensando en renovar tu instrumental quirúrgico? Ahora es el momento. NSK ofrece la oferta Flash Renove: envíanos tu viejo instrumento, de cualquier marca, a NSK Dental Spain y te ofreceremos un descuento exclusivo en la compra del SG20 o X-SG20L.

Opción 1

Plan renove: 200€

MODELO SG20

REF. C1010

• Sin Luz

• Reducción 20:1

539€*

739€*

Contacta con tu distribuidor de confianza para solicitar la oferta

Opción 2

Plan renove: 300€

MODELO X-SG20L

REF. C1003

• Con Luz

• Reducción 20:1

779€*

1.079€*

¿Cómo disfrutar de la oferta?

Envía tu viejo instrumento a NSK Dental Spain junto con un formulario de información

Disfruta de nuestro descuento exclusivo

Oferta válida desde el 1 de septiembre hasta el 31 de octubre de 2023. ¡Aprovéchala ahora!

* Los precios no incluyen IVA . Ofertas limitadas desde el 1 de septiembre hasta el 31 de octubre de 2023 o hasta fin de existencias.

NSK Dental Spain NSK Dental Spain NSK Dental Spain NSK Dental Spain S.A. www.nsk-spain.es Módena, 43 · El Soho-Európolis · 28232 Las Rozas de Madrid · tel: +34 91 626 61 28 · e-mail: info@nsk-spain.es
¡Síguenos!
HUYENDO DE UCRANIA TE NECESITAN EMERGENCIA EN UCRANIA DONA AHORA EN Bizum – Código: 01151 ayudaucrania.com ES86 2100 2262 1802 0040 3932
LAS PERSONAS QUE ESTÁN

Turn static files into dynamic content formats.

Create a flipbook
Issuu converts static files into: digital portfolios, online yearbooks, online catalogs, digital photo albums and more. Sign up and create your flipbook.