


![]()



als die erste Ausgabe von GLEIS EINS im Jahr 2009 erschien, hatte sie 36 Seiten. Inzwischen, 15 Jahre später, ist das Heft fast doppelt so umfangreich – darauf sind wir tatsächlich ziemlich stolz.
Seit vielen Jahren sorgen wir mit unserem Magazin GLEIS EINS dafür, dass Sie nicht nur einen umfassenden Einblick in eine Vielzahl aktueller medizinischer Themen bekommen, sondern gleichzeitig in regelmäßigem halbjährigen Rhythmus über das Leistungsspektrum der Fachärzteschaft im Zentrum von Aschaffenburg informiert werden.
Viel ist in dieser Zeit geschehen: medizinische Fortschritte, Entdeckungen, Erfahrungen und bahnbrechende Entwicklungen. Wer hätte vor 15 Jahren gedacht, dass ein Virus die komplette Welt in Schockstarre versetzen würde oder dass es dagegen einen mRNA-Impfstoff geben würde? Gerade daran haben wir alle innerhalb kürzester Zeit beobachten und erfahren können, was medizinischer Fortschritt bedeutet. Diese Entwicklungen können Sie auch in unserem Magazin kontinuierlich nachverfolgen. In unserer Jubiläumsausgabe geht es um Fortschritte der Medizin: Die Rückschlüsse aus der Hirnforschung verändern viele medizinische Bereiche. Unser Gehirn ist ein lernendes Wunderwerk. Je mehr wir davon verstehen, desto mehr Chancen gibt es, Erkrankungen und Verletzungen entgegenzutreten. Wir wünschen Ihnen viel Freude bei der Lektüre. Falls Sie in den Ausgaben der vergangenen 15 Jahre blättern und stöbern möchten: Unser Magazin steht unter www.gleiseins.net als eMagazin bereit.
Wir bedanken uns bei unseren Leserinnen und Lesern und unseren Partnern, mit denen dieses Projekt seit 15 Jahren wächst und gedeiht. Und wir freuen uns auf die nächsten Ausgaben von GLEIS EINS – mit Ihnen!
Viel Freude bei der Lektüre wünscht Ihnen
Ihr Team von GLEIS EINS


Titelthema
Wenn Du denkst … Wie wir unser Gehirn und uns selbst austricksen. 4-10
News & Intern
BAG: Spezialdiagnostik für GKV-Patienten im Rahmen von Selektivverträgen 11
Gesundheitsvorsorge
Ihr ganz persönlicher Gesundheits-Check-up! 12-17
Medizinische Einrichtungen
Augenoptik & Hörakustik
UNIKAT 2.0
Weil gutes Sehen besser geht. Die Zeit ist reif. 5
Sprachtherapie
Nerven und Gehirn –Schlaganfall und Aphasie 18-19
Innere Medizin
Gefährliches Kribbeln. 20-21
Kieferorthopädie
Gesunde Zähne, gesunder Geist: Wie Kieferorthopädie Gesundheit und Wohlbefinden fördert 22-23
Orthopädie und Sportmedizin
Behandlung von Vorfußschmerzen: Ein Überblick für Patienten 24-25
Urologie
Blut im Urin oder nur Rotfärbung des Urins? 26-27
Neurologie
Euphorie oder Ernüchterung?
Was die neuen Medikamente gegen Alzheimer können und was nicht. 28-29
Frauenheilkunde
Depressionen in den Wechseljahren: Wie Hormone die Psyche beeinflussen 30-31

Kardiologie und Innere Medizin Schlaganfall durch Vorhofflimmern: Gefahren erkennen! 32-33
Physiotherapie/Fitness/ Kosmetik & Fußpflege
Wie das Gehirn sich zur Heilung nach einer Verletzung neu vernetzt 34-35
Gastroenterologie und Innere Medizin
Das Zusammenspiel von Gehirn/Nerven und dem Magen-Darm-Trakt 38-39
Augenheilkunde
Der Sehnerv: Brücke zwischen
und Nuklearmedizin
GLEIS EINS – Zentrum für Ambulante Medizin | Aschaffenburg
Herausgeber: sl-werbung GmbH · Stephan Lehmann · Gutwerkstraße 18 · 63743 Aschaffenburg Mobil 01 70 /5 50 57 99 · E-Mail s.lehmann@sl-werbung.com (für die inhaltliche Richtigkeit der Anzeigen und medizinischen Beiträge in den Anzeigen sind die Vertragspartner und nicht der Herausgeber verantwortlich)
Redaktion: Iris Solbès (Fragen/Anmerkungen an die Redaktion: E-Mail s.lehmann@sl-werbung.com)
Fotonachweise: S. 4 Marko und Billion Photos.com, S. 6 DDRockstar, rockielian und olly, S. 7 Image Flow, S. 8 olly, S. 10 Tarun und Saandra Sevjarocka, S. 12 Giordano Aita, S. 14 maestro, S. 16 Plson, S. 20 sorapop, S. 22 Adrey Kiselev, S. 26 Katherine, S. 28 freshideal, S. 30 Valerii Honcharuk, S. 32 artisticmeridian, S. 34 Niklas, S. 36 pankajstock123, S. 38 Ahtoh Canbhnkob, S. 40 Leo, S. 42 detailblick-foto, S. 44 shotprime studio, S. 46 K (alle Adobe Stock), Johannes Heeg, Petra Reith, DJäger, Dirk Nitschke, Susanne von Mach und Thomas Hesse
Druck: Kuthal Print GmbH & Co. KG · Johann-Dahlem-Str. 54 · 63814 Mainaschaff
Im Gespräch
Wie wir unser Gehirn und uns selbst austricksen.

Was passiert, wenn wir eine Denkblockade haben? Was ist ein Déjà-vu? Warum geht uns dieser Ohrwurm nicht aus dem Kopf? Und warum trifft unser Gehirn seine Entscheidungen immer ein paar Sekunden bevor wir meinen, wir hätten einen Entschluss gefasst? Eine Annäherung.
Unser Denkorgan erbringt täglich unglaubliche Leistungen. Es sammelt eine Unmenge an Informationen, überwacht und sortiert, reagiert. Wenn unser Organismus in Not ist, trifft es seine Entscheidungen und setzt Prioritäten. Doch trotz aller Perfektion hat unser Gehirn dennoch manchmal erstaunliche Aussetzer. Dann spricht man oft von Irrtümern bei der Vernetzung.
Ruft man eine Erinnerung ab, läuft der gesamte Konsolidierungsprozess erneut an. Allerdings beeinflussen Erfahrungen und Gefühle zu diesem Abruf-Zeitpunkt die Information und verändern diese ein wenig – unter Umständen geht sie sogar komplett verloren. Dies kann das Phänomen erklären, dass verschiedene Personen bei Zeugenaussagen dieselben Ereignisse oft völlig unterschiedlich abgespeichert haben. Erinnerungen sind also das Produkt der persönlichen emotionalen Wahrnehmung sowie elektrischer und chemischer Prozesse im Gehirn.

Weil gutes Sehen besser geht. Die Zeit ist reif.

Entdecken Sie jetzt die neue Generation Brillengläser in einem unserer Stores. Eine Entwicklung der Schwind Sehen & Hören GmbH · Mainparkstr. 12 · 63801 Kleinostheim www.schwind-sehen-hoeren.de
„Wer war das nochmal?“ Suchen wir angestrengt nach einem Namen, arbeiten unsere Neuronen auf Hochtouren. Eine Erinnerung besteht für unser Gehirn aus vielen Verbindungen, die sich zwischen den Neuronen gebildet haben. Für das Abrufen von Erinnerungen ist ein optimales Zusammenspiel mehrerer Gehirnregionen nötig. Das Zungenspitzenphänomen, auch TOTPhänomen (tip-of-the-tongue) genannt, bezeichnet einen Zustand, in dem ein eigentlich bekanntes Wort zu einem bestimmten Zeitpunkt im mentalen Lexikon nicht oder nur teilweise verfügbar ist. Bei diesem Phänomen hakt die Synchronisierung zwischen den Hirnarealen. Man möchte etwas Bestimmtes sagen, aber das Wort wurde in der geistigen Informationsfülle noch gar nicht gefunden. Was tun? Nützlich ist, sich den Kontext des gesuchten Begriffs vor Augen zu führen, denn das Gehirn speichert jedes Wort in einem Netzwerk ab. Also nimmt man einen Umweg: Was arbeitet die gesuchte Person? Wie sieht sie aus? Mit ein bisschen Hilfestellung findet die Denkzentrale so die verschüttete Erinnerung wieder. Keine Sorge: Die meisten Menschen erleben mindestens ein TOT pro Woche, es handelt sich daher nicht um eine außergewöhnliche, sondern vielmehr um eine alltägliche Erscheinung.
Vielleicht ist Ihnen auch schon Folgendes passiert: Sie gehen durch eine Tür, betreten einen neuen Raum … und haben just vergessen, was Sie erledigen wollten. Dieses Phänomen ist wissenschaftlich belegt und ist sozusagen eine „Mini-Amnesie“. Das menschliche Gehirn nimmt das Verlassen des alten und das Betreten des neuen Raumes als eine Grenzüberschreitung wahr und sortiert die Erinnerungen neu – mit der Konsequenz, dass die ursprüngliche Handlungsabsicht vergessen wird. Der Grund dafür ist, dass das Gehirn neue Ereignisse in den Vordergrund stellt, wodurch vorangegangene Erfahrungen als unwichtiger erachtet und einfach vergessen werden. Auch eine Gesprächsunterbrechung wird manchmal als ein neues Ereignis wahrgenommen und lässt die Gedanken des ursprünglich beabsichtigten Gesprächsverlaufs vergessen. Beim TürschwellenEffekt werden also alte Informationen verdrängt, um Platz für neue zu schaffen. Man kann zwar versuchen, in den ersten Raum zurückzugehen, um sich zu erinnern – das hilft aber in den meisten Fällen nicht, denn nun gilt es ja, schon wieder genau: neue Informationen zu verarbeiten.


Verflixt: Das Lied geht mir einfach nicht mehr aus dem Kopf! Ob Sie den Song mögen, oder nicht, er setzt sich als Ohrwurm fest, um nun für Stunden oder ganze Tage im Kopf umherzuschwirren. Eigentlich handelt es sich dabei lediglich um ein mentales Echo: Hirnbereiche, die den Song kognitiv erzeugen, vernetzen sich immer wieder mit denen, die die Musik verarbeiten. Die sogenannte Heschl‘sche Querwindung, ein Teil der Hörrinde am Schläfenlappen, kommt ihrer Aufgabe nicht nach: Sie müsste sich normalerweise bei einer musikalischen Dauerschleife dazwischenschalten. Dagegen hilft, so seltsam es klingt: Kaugummikauen. Die Hirnwindungen, die den Ohrwurm erzeugen, steuern auch die Kiefermuskeln und bekommen durch das Kauen eine neue Aufgabe. Oder, Sie hören das Musikstück bis zum Ende an. Denn Ohrwürmer sind oft nur bruchstückhafte Ausschnitte. Wenn Sie den Ohrwurm vollständig abspielen, signalisieren Sie dem Gehirn, dass die Aufgabe abgeschlossen ist und es sozusagen „loslassen“, d h. vergessen darf.

Was kognitive Dissonanz bedeutet, erleben Sie immer dann, wenn Sie „wider besseres Wissen“ zum Beispiel schon wieder eine Zigarette anzünden. Dissonante Zustände erzeugen unangenehme innere Spannungen. Der Mensch befindet sich im Ungleichgewicht und ist unbewusst bestrebt, wieder einen konsistenten Zustand – ein Gleichgewicht – zu erreichen. Wie das gelingt? Der Mensch sagt sich: Kein Problem, Queen Mum wurde mit jeder Menge Gin 101 Jahre alt, da wird mir doch ein Zigarettchen nicht schaden … und schon passt wieder alles. Das selbe passiert auch, wenn die Wirklichkeit nicht zu einer von uns gefassten Erklärung passt. Dann fällt es uns schwer, das Gegenteil zu akzeptieren. Und wir tun alles, um nicht von unserer Position abzuweichen, auch wenn wir es eigentlich besser wissen sollten.
Ganz klar: Ich weiß es ganz eindeutig am besten! Das beschreibt den Dunning-Kruger-Effekt recht gut. Namensgeber der Theorie sind zwei amerikanische Sozialpsychologen. Sie fanden heraus, dass weniger kompetente Personen dazu neigen, ihre eigenen Fähigkeiten zu überschätzen, überlegene Fähigkeiten bei anderen nicht zu erkennen und das Ausmaß ihrer Inkompetenz nicht richtig einzuschätzen. Die meisten Menschen halten sich für besser als der Durchschnitt. Wie kommt es dazu? Um einzuschätzen, wie aussagekräftig die persönliche Meinung ist, muss man das eigene Denken überprüfen. So erkennt man die Grenzen der eigenen Kompetenz. Ein ausgebildeter Experte weiß zum Beispiel, wie komplex bestimmte Themen sind, und ist mit seinen Angaben viel vorsichtiger, denn er weiß – frei nach Sokrates, „dass er nichts weiß“.
Von unseren Entscheidungen aber glauben wir in der Regel, dass wir sie bewusst fällen. Doch schon etliche Sekunden bevor wir eine Entscheidung bewusst treffen, können erste Anzeichen der Absicht aus dem Gehirn ausgelesen werden. Viele Prozesse im Gehirn laufen unbewusst ab – wir wären sonst

schon mit alltäglichen Aufgaben der Sinneswahrnehmung und Bewegungskoordination völlig überfordert. Dennoch haben wir die Kontrolle, da wir den Prozess anhalten können. Eine Frage der Willensfreiheit.

› Mehr Informationen in unserem Blog: www.ecovis.com/medizin




gesellschaft

Der ein oder andere von uns kennt es aus Prüfungen: Der Kopf ist wie leergefegt, man weiß gar nichts mehr. Dazu kommen kalter Schweiß, Herzklopfen und leichtes Zittern. Trotz bester Vorbereitung ist er da: der Blackout. Das Gelernte ist nicht mehr abrufbar. Solche Aussetzer nennt man in der Wissenschaft auch „Übererregungsfallen“. Bei großem Stress schüttet der Körper jede Menge Botenstoffe aus, deren eigentlicher Zweck darin besteht, die Wahrnehmung zu schärfen, um das Überleben zu sichern. Beim Blackout ist diese Fokussierung überaktiv. Das Resultat: nicht nur Unwichtiges wird aussortiert, sondern auch die benötigten Informationen. Bei moderatem Lampenfieber gilt es, die Signale umzudeuten – und zwar in etwas Positives. Denn wir brauchen ja starke Konzentration bei Prüfungssituationen. Da gehört ein bisschen Angstschweiß dazu. So eingeordnet, reduziert sich der Stress und man verhindert den Blackout.
n Das Gehirn ist das Kontrollzentrum des Körpers und sendet ständig Signale an das Rückenmark, um Körperfunktionen wie Atmung, Herzschlag, Verdauung und Bewegung zu regulieren.
n Zwar macht unser komplexestes Organ nur zwei bis drei Prozent der Gesamtmasse unseres Körpers aus, verbraucht allerdings 20 % seiner Energie.
n Das Gehirn besteht aus drei Teilen. Der größte, das Großhirn, sitzt ganz „oben“ im Schädel. Es ist für unsere Wahrnehmung der Welt zuständig und wie wir mit ihr interagieren.
n Die äußere Schicht ist die Großhirnrinde (Kortex). Er ist unter anderem für die Verarbeitung und Interpretation der Sinneseindrücke und die Kodierung von Erinnerungen, zuständig.
n Das Großhirn beherbergt den motorischen Kortex, der Signale an die Muskeln sendet und Bewegungen steuert. Hierbei übernimmt jeweils eine Seite des Gehirns die entgegengesetzte Hälfte des Körpers. Das heißt, die rechte Gehirnhälfte steuert die linke Seite des Körpers.
n Die Oberfläche des Großhirns besteht aus zahlreichen Windungen und Furchen. Diese komplexe Struktur erhöht die Oberfläche des Gehirns und ermöglicht es, die Leistungsfähigkeit des Gehirns zu erhöhen.
n Unter dem Großhirn, am Hinterkopf, sitzt das Kleinhirn. Es ist für Koordination, Feinmotorik und Gleichgewicht zuständig.
n Das Stammhirn, das mit dem Rückenmark verbunden ist, sitzt hinten im Gehirn. Es kontrolliert die vegetativen Körperfunktionen wie Atmung und Verdauung und leitet die motorischen Signale des Gehirns zum Körper.
n In einem durchschnittlichen erwachsenen Gehirn gibt es etwa 100 Milliarden Neuronen, die durch Verästelungen (Synapsen) mit anderen Neuronen verbunden sind. Entlang dieser mehr als 10 0 Billionen Synapsen laufen elektrische Signale. Sie sind die Basis unserer Gefühle, Gedanken und Erinnerungen.
n Erreicht ein elektrisches Signal eine Synapse, werden chemische Botenstoffe freigesetzt, sogenannte Neurotransmitter, die das Signal an das nächste Neuron weiterleiten. Im Lauf der Zeit erstellt unser Gehirn aus der Erfahrung Aktivitätsmuster – Wege, auf denen das Signal am stärksten ist.
n Das Gehirn ist in eine rechte und eine linke Gehirnhälfte unterteilt, die über einen dicken Strang Nervenfasern verbunden sind. Jede Hemisphäre besteht dabei aus einer Großhirn-, einer Zwischenhirn- und einer Kleinhirnhälfte, die auf Funktionen spezialisiert sind, aber gleichzeitig kontinuierlich miteinander kommunizieren.

So können Sie uns erreichen:

AB-Immobilien Staab ist Ihr zuverlässiger Partner für alle Fragen rund um Häuser und Wohnungen.
✔ Bewertung und Beratung
Unsere Sachverständigen erstellen objektive, unabhängige und marktgerechte Bewertungen für Ihre wertvolle Immobilie, inklusive Wettbewerbsanalyse.
✔ Verkauf



Unsere geprüften Immobilienkau eute platzieren Ihr Verkaufsobjekt strategisch am Markt und erzielen den optimalen Preis.
✔ Vermietung
Wir bieten, was viele Makler nicht mehr wollen: Alle Dienstleistungen rund um Ihr Mietobjekt zum Festpreis.

n Design & PrePrint
Idee | Konzept | Gestaltung | Artwork | Komplett-Service
n Digitale Medien
Webdesign | Digital-Publishing
n 3D-Studio
CGI-Visualisierung | Mix Composing | Animation
Herausgeber des Ärztemagazins GLEIS EINS in Aschaffenburg

„Ich war schon einmal hier – das kommt mir alles so vertraut vor!“ Wir alle haben diese Momente, die uns erscheinen, als habe jemand eine Repeat-Taste gedrückt. Man fühlt sich merkwürdig und manch einer erklärt sich diese Dissonanz (siehe „kognitive Dissonanz“) mit kühnen Theorien – zum Beispiel der Erinnerung an ein früheres Leben. Aber: Wie kommt es wirklich dazu? Das Bewusstwerden über eine Situation verarbeitet das Gehirn einen Hauch später als das Gefühl der Vertrautheit für einen Moment. Wir denken also, wir kennen die Situation bereits, bevor wir sie überhaupt bewusst wahrgenommen haben, weil eine Vernetzung durcheinandergeraten ist. Verhindern lässt sich das Déjà-vu nicht. Immerhin: Wer den Mechanismus dahinter kennt, verliert die Angst vor übernatürlichen Einflüssen.
Denken Sie nicht an einen rosa Elefanten! Na? Geben Sie es zu, sie haben genau daran gedacht. Manchmal machen wir Fehler, die wir unbedingt vermeiden wollten, wir plaudern Dinge aus, die wir ganz bewusst für uns behalten wollten. Bei solchen ironischen Fehlern gerät unsere gedankliche Selbstkontrolle – die Metakognition – aus dem Gleichgewicht. Ist ja auch klar, denn unser Gehirn ist nicht in der Lage ein „Nein“ oder ein „Nicht“ zu verarbeiten. Die Nachricht, die im Gehirn ankommt, lautet: Denken Sie … an einen rosa Elefanten! Die Lösung: Formulieren Sie es positiv. Denken Sie also nicht: Ich darf den Schlüssel nicht vergessen. Sondern: Ich werde den Schlüssel mitnehmen. Und jetzt: Denken Sie an einen blauen Elefanten. Wenn Sie möchten, auch unter musikalischer Begleitung eines Ohrwurms ihrer Wahl n

aus der BAG Radiologie & Nuklearmedizin
Immer mehr gesetzliche Krankenkassen übernehmen für ihre Versicherten die Kosten für Untersuchungen, die nicht im EBM enthalten sind. Hierzu gehören auch verschiedene radiologische Bildgebungsverfahren wie das mpMRT der Prostata und neuerdings auch das Kardio-MRT. Eine aktuelle Auflistung der teilnehmenden Krankenkassen können Sie auf unserer Homepage finden. Ob und wann die entsprechende Diagnostik für Sie sinnvoll ist, können Sie mit Ihrem behandelnden Facharzt besprechen und sich zur Terminierung gerne direkt an uns wenden.



Wir suchen für unser „GLEIS EINS – Ärztemagazin in Aschaffenburg“ für folgende medizinische Bereiche noch Partner-Praxen: Dermatologie, Kinderheilkunde und HNO-Medizin Wir würden uns über Ihr Interesse freuen. Rufen Sie einfach an unter 0170 5505799 oder schreiben Sie eine E-Mail an s.lehmann@sl-werbung.com
Herzliche Grüße
Ihr Stephan Lehmann (Herausgeber)

Milchbackenzahnung, Ernährungsberatung
21. – 24. Monat n Kinderheilkunde u U7 aus dem Baby ist ein Kleinkind geworden
24. Monat n Akademische u Früherkennung und Beratung von Risikokindern („Late-talker“) Sprachtherapie n HNO-heilkunde n Augenheilkunde u Ausschluss frühkindliches Schielen
30. – 72. Monat n Zahnmedizin u 3 x FU: Einschätzung Kariesrisiko, Ernährungsberatung, Mundhygieneberatung, Fluoridmittelempfehlung
34. – 36. Monat n Kindheilkunde u U7a Kleinkind wird Kindergartenkind
3. – 4. Lebensjahr n Akademische u Beratung und Frühförderung zu Prophylaxe von Stimm-, Sprach-, Sprech- und Sprachtherapie Schluckstörungen; Elternberatung und -anleitung bei kindlichen Stimm-, Sprach-, n HNO-heilkunde Sprech- und Schluckstörungen sowie bei Stottern; Beratung fremdsprachiger Eltern bei Verdacht auf Sprach- oder Sprechstörung bei Mehrsprachigkeit
4. Lebensjahr n Augenheilkunde u Ausschluss Schwachsichtigkeit, Spätschielen, Brille n Kinderheilkunde u U8 auf dem Weg zum Vorschulkind
5. Lebensjahr n Kinderheilkunde u U9 bald ein Schulkind
6. Lebensjahr n Augenheilkunde u Ausschluss Schwachsichtigkeit, Brille vor Einschulung n HNO-heilkunde u Allergietest n Urologie u Harnsteinfrüherkennung bei familiärer Veranlagung für Nierensteine ab 6. Lebensj. halbj. n Zahnmedizin u 01, Prophylaxe (IP), Fissurenversiegelung
7. Lebensjahr n Kieferorthopädie u U8/U9 Erkennen von Kieferfehlstellungen
8. Lebensjahr n Akademische u Diagnostik und Therapie von Lese- und Rechtschreibstörungen Sprachtherapie
9. Lebensjahr n Kieferorthopädie u Voruntersuchung Ende der 1. Wechselgebissphase ab 10. Lebensjahr n HNO-heilkunde u Hörtest, Prüfung des Gleichgewichtes auf Tauch-, Fahr-, Flug- und Bootstauglichkeit, Tauglichkeitsuntersuchung für bestimmte Berufe (Piloten, Berufskraftfahrer, Sprechberufe)
11. Lebensjahr n Kieferorthopädie u Voruntersuchung Ende der 2. Wechselgebissphase
12. – 18. Lebensj. halbj. n Zahnmedizin u 01, Prophylaxe (IP), Versiegelung, KFO-Ber., OPG für Check Weisheitszähne, Bissflügelaufnahmen bis 13. Lebensjahr n Kieferorthopädie u 9. – 13. Lebensjahr Beseitigung von Zahn- und Kieferfehlstellungen
13. – 14. Lebensjahr n Kieferorthopädie u 9. – 13. Lebensjahr Beseitigung von Zahn- und Kieferfehlstellungen n Kinderheilkunde u J 1 Jugendlichen-Untersuchung
16. – 17. Lebensjahr n Frauenheilkunde u Impfung gegen Gebärmutterhalskrebs, Antikonzeptionberatung n Kinderheilkunde u J 2 Jugendlichen-Untersuchung
17. Lebensjahr n Kieferorthopädie u Entscheidung ob Behandlung auf Kassenkosten
10. – 18. Lebensjahr n Orthopädie u Rücken-Check-up
1. – 18. Lebensjahr n Dermatologie u Hautvorsorgeuntersuchung bei großen angeborenen Muttermalen oder familiärem Hautkrebs n Urologie u Harnsteinfrüherkennung bei familiärer Veranlagung, Hodenkrebsfrüherkennung bei jungen Männern (15. – 40. Lebensjahr jährlich)



Wir bieten ganzheitliche IT-Lösungen aus einer Hand. Von der Analyse über die Beratung, Hard- und Software, umfassendem Service bis zu regelmäßigem Support.
Wir bieten ganzheitliche IT-Lösungen aus einer Hand. Von der Analyse über die Beratung, Hard- und Software, umfassendem Service bis zu regelmäßigem Support.
tomedo® ist eine auf Mac, iPhone, iPad und Apple Watch laufende KBV-zertifizierte Arztsoftware für die Praxis, von Ärzten für Ärzte entwickelt. Geeignet für Allgemeinärzte, Fachärzte und Psychotherapeuten, zur Karteiführung, Arzneimittelverordnung, Terminplanung, GKV-, BG- und Privatabrechung, u.v.m.


One-Stop-Solution
Erlebe als Firmenkunde die ganze Welt der IT-Leistungen aus einer Hand!
IT-Security
Mit uns auf Nummer sicher gehen – Unternehmenssicherheit ohne Kompromisse!
Server und Storage
Architekturberatung und Systemintegration – kosteneffizient und skalierbar!
Reparatur
Autorisierter Apple Service Provider mit zertifizierten Technikern. FMS-Computer GmbH

Lebensalter Fachrichtung Art der Untersuchung
ab 18. Lebensjahr n Augenheilkunde u Verkehrstauglichkeit/Brille bei Führerschein mit 17 Jahren n Urologie u Fruchtbarkeitscheck bei (unerfülltem) Kinderwunsch, Harnsteinfrüherkennung bei familiärer Veranlagung, Hodenkrebsfrüherkennung bei jungen Männern (15. – 40. Lebensjahr jährlich)
n Zahnmedizin u regelmäßige ½-Jahres-Kontrollen
20. Lebensjahr n Augenheilkunde u „Fit fürs Fahren“, Autofahrer-Check n Frauenheilkunde u Krebsvorsorgeuntersuchung n HNO-heilkunde u Hörtest (Früherkennung von Lärmschäden), bei Rauchern 2 x jährlich Kehlkopfspiegelung zur Früherkennung des Kehlkopfkrebses, Tauchtauglichkeitsuntersuchung zur Verhinderung von Barotraumen des Ohres und der Nasennebenhöhlen
n Innere Medizin u Stoffwechsel-Check, Kontrolle von Impfschutz, Indentifizierung von Risikopatienten (z B. fam. Polyposen)
n Kardiologie u bei Leistungssport: alle 2 Jahre Fitness-Check (EKG, Ergometrie, Ergospirometrie, Lungenfunktion, Echokardiogramm, Laborwerte)
n Kieferorthopädie u Verlaufskontrolle
n Neurologie u Schlafanalyse und -hygiene
n Orthopädie u Rücken-Check-up alle 5 Jahre
n Sportmedizin u bei Leistungssport: alle 2 Jahre Fitness-Check (EKG, Ergometrie, Lungenfunktion, Echokardiogramm, Laborwerte)
n Urologie u Harnsteinfrüherkennung bei familiärer Veranlagung, Hodenkrebsfrüherkennung bei jungen Männern (15. – 40. Lebensjahr jährlich)
n Zahnmedizin u regelmäßige ½-Jahres-Kontrollen 01, PSI-Code (Check PAR), Prophylaxe, Vorsorge Kiefergelenk, Vorsorge Rö-Aufnahmen für Kariesdiagnostik und Ausschluss krankh. Veränderungen
30. Lebensjahr n Augenheilkunde u „Fit fürs Fahren“, Autofahrer-Check n Frauenheilkunde u Krebsvorsorgeuntersuchung, Mammasonografie, Dünnschichtzytologie n Innere Medizin u komplette Krebsvorsorge alle 5 Jahre, Komplett-Check alle 2 Jahre n Kieferorthopädie u Verlaufskontrolle n Radiologie u Brustkrebsvorsorge Mammasonografie (30., 40. Lebensjahr); bei familiärem Risiko: Mamma-MRT n Urologie u Harnsteinfrüherkennung bei familiärer Veranlagung, Hodenkrebsfrüherkennung bei jungen Männern (15. – 40. Lebensjahr jährlich) n Zahnmedizin u regelmäßige ½-Jahres-Kontrollen 01, PSI-Code (Check PAR), Prophylaxe, Vorsorge Kiefergelenk, Vorsorge Rö-Aufnahmen für Kariesdiagnostik und Ausschluss krankh. Veränderungen
40. Lebensjahr n Augenheilkunde u Glaukomfrüherkennung, Netzhautvorsorge in medikamentöser Mydriasis, „Fit fürs Fahren“, Autofahrer-Check n Frauenheilkunde u Krebsvorsorgeuntersuchung mittels Mammografie, Mammasonografie, Vaginalsonografie und Dünnschichtzytologie n Innere Medizin u ausführlicher Check-up mit EKG, Ergometrie, Labor, Lungenfunktion, Sonografie von Schilddrüse und Oberbauch – Wiederholung alle 5 Jahre n Innere Medizin/ u bei Freizeitsport: alle 5 Jahre Check (EKG, Ergometrie, Lungenfunktion, Sportmedizin Echokardiogramm, Laborwerte) n Kardiologie u bei Freizeitsport: alle 2 Jahre Fitness-Check (EKG, Ergospirometrie, Lungenfunktion, Echokardiogramm, Laborwerte); bei Risiko-Patienten (Herzinfarkt in der Familie, Bluthochdruck, Zuckerkrankheit, Blutfetterhöhung, Rauchen): EKG, Ergometrie, Ergospirometrie, Lungenfunktion, Echokardiogramm, Duplexsonographie der hirnversorgenden Arterien, Ultraschall Beinarterien, Laborwerte
n Kieferorthopädie u Verlaufskontrolle n Neurologie u Schlaganfallprävention (Stroke risk analyser) n Radiologie u Lungenkrebsvorsorge (Lungen-CT), Mammasonografie n Sportmedizin u alle 5 Jahre sportmed. Untersuchungen n Urologie u Männer: Prostata-, Harnblasen-, Nierenkrebs- und Harnsteinfrüherk. (jährl.); Frauen: Harnblasen-, Nierenkrebs- und Harnsteinfrüherkennung (jährl.) n Zahnmedizin u regelmäßige ½-Jahres-Kontrollen 01, PSI-Code (Check PAR), Prophylaxe, Vorsorge Kiefergelenk, Vorsorge Rö-Aufnahmen für Kariesdiagnostik und Ausschluss krankh. Veränderungen
45. Lebensjahr n Augenheilkunde u Glaukomfrüherkennung, Netzhautvorsorge in medikamentöser Mydriasis, „Fit fürs Fahren“, Autofahrer-Check, Bildschirmbrille n Frauenheilkunde u Knochendichte, Krebsvorsorge mittels Mammografie, Mammasonografie, Vaginalsonografie und Dünnschichtzytologie

Lebensalter Fachrichtung Art der Untersuchung n Innere Medizin u erstmalige Krebsvorsorge mit Coloskopie, Oberbauchsonografie und fakultativer Gastroskopie, Labor alle 5 Jahre n Kardiologie u erstmaliger genereller Herz-Kreislauf-Check (EKG, Ergometrie, Ergospirometrie, Lungenfunktion, Echokardiogramm, Laborwerte, Duplexsonographie der hirnversorgenden Arterien, Ultraschall Beinarterien) n Orthopädie u Osteoporosemessung, Rücken-Check alle 5 Jahre n Radiologie u Herz-CT-Koronarangiografie: Ausschluss KHK, Diabetiker, Bypasskontrolle; Herz-CT-Kalzium-Score: familiäres Infarktrisiko, Raucher, Diabetiker, Hypercholesterinämie, Gefäß-Check der hirnversorgenden Gefäße (Arterien); mittels MR-Angiografie: bei Diabetikern, Rauchern, fam. Schlaganfall und Hypercholesterinämie
n Urologie u Männer: Prostata-, Harnblasen-, Nierenkrebs- und Harnsteinfrüherk. (jährl.); Frauen: Harnblasen-, Nierenkrebs- und Harnsteinfrüherk. (jährl.) n Zahnmedizin u regelmäßige ½-Jahres-Kontrollen 01, PSI-Code (Check PAR), Prophylaxe, Vorsorge Kiefergelenk, Vorsorge Rö-Aufnahmen für Kariesdiagnostik und Ausschluss krankh. Veränderungen

50. Lebensjahr n Augenheilkunde u Verkehrs- Check (LKW alle 5 Jahre), Bildschirmbrille, Glaukomfrüherkennung, Netzhautvorsorge in medikamentöser Mydriasis, „Fit fürs Fahren“, Autofahrer-Check n Frauenheilkunde u Krebsvorsorge mittels Mammografie, Mammasonografie, Vaginalsonografie und Dünnschichtzytologie n Gefäßchirurgie u Gefäß-Check bei Rauchern und Hypertonikern
n Innere Medizin u ausführlicher Check-up mit EKG, Ergometrie, Labor, Lungenfunktion, Sonografie von Schilddrüse und Oberbauch – Wiederholung alle 5 Jahre; Krebsvorsorge mit Coloskopie, Oberbauchsonografie und fakultativer Gastroskopie, Labor alle 5 Jahre n Kardiologie u Herz-Kreislauf-Check (EKG, Ergometrie, Ergospirometrie, Lungenfunktion, Echokardiogramm, Laborwerte, Duplexsonographie der hirnversorgenden Arterien) – Wiederholung alle 5 Jahre; bei Freizeitsport: alle 2 Jahre FitnessCheck (EKG, Ergospirometrie, Lungenfunktion, Echokardiogramm, Laborwerte) n Kieferorthopädie u Verlaufskontrolle n Neurologie u Früherkennung dementieller Störungen, Neuropsychol. Untersuchungen n Radiologie u Darmkrebsvorsorge (virtuelle CT-Darmspiegelung) n Sportmedizin u alle 2 Jahre sportmed. Untersuchungen n Urologie u Männer: Prostata-, Harnblasen-, Nierenkrebs- und Harnsteinfrüherk. (jährl.); Frauen: Harnblasen-, Nierenkrebs- und Harnsteinfrüherk. (jährl.)
n Zahnmedizin u regelmäßige ½-Jahres-Kontrollen 01, PSI-Code (Check PAR), Prophylaxe, Vorsorge Kiefergelenk, Vorsorge Rö-Aufnahmen für Kariesdiagnostik und Ausschluss krankh. Veränderungen
60. Lebensjahr n Akademische u Beratung u. Diagnostik von dementiellen Erkrankungen z B. CERAD Sprachtherapie n Augenheilkunde u Verkehrs- Check (LKW alle 5 Jahre), Bildschirmbrille, Glaukomfrüherkennung, Netzhautvorsorge in medikamentöser Mydriasis, „Fit fürs Fahren“, Autofahrer-Check
n Frauenheilkunde u Krebsvorsorge mittels Mammografie, Mammasonografie, Vaginalsonografie und Dünnschichtzytologie
n HNO-heilkunde u Hörtest
n Innere Medizin u ausführl. Check-up mit EKG, Ergometrie, Labor, Lungenfunktion, Sonografie von Schilddrüse u. Oberbauch – Wiederholung alle 2 Jahre
n Kardiologie u Herz-Kreislauf-Check (EKG, Ergometrie, Ergospirometrie, Lungenfunktion, Echokardiogramm, Laborwerte, Duplexsonographie der hirnversorgenden Arterien, Ultraschall Beinarterien) – Wiederholung alle 5 Jahre; bei Freizeitsport: alle 2 Jahre Fitness-Check (EKG, Ergospirometrie, Lungenfunktion, Echokardiogramm, Laborwerte)
n Kieferorthopädie u Verlaufskontrolle
n Sportmedizin u bei Freizeitsport: alle 2 Jahre Check (EKG, Ergometrie, Lungenfunktion, Echokardiogramm, Laborwerte)
n Urologie u Männer: Prostata-, Harnblasen-, Nierenkrebs- und Harnsteinfrüherk. (jährl.); Frauen: Harnblasen-, Nierenkrebs- und Harnsteinfrüherk. (jährl.)
n Zahnmedizin u regelmäßige ½-Jahres-Kontrollen 01, PSI-Code (Check PAR), Prophylaxe, Vorsorge Kiefergelenk, Vorsorge Rö-Aufnahmen für Kariesdiagnostik und Ausschluss krankh. Veränderungen ab 70. Lebensjahr n Augenheilkunde u Bildschirmbrille, Glaukomfrüherkennung, Netzhautvorsorge in medikamentöser Mydriasis, „Fit fürs Fahren“, Autofahrer-Check n Frauenheilkunde u Krebsvorsorge mittels Mammografie, Mammasonografie, Vaginalsonografie und Dünnschichtzytologie n Orthopädie u Rücken-Check-up alle 5 Jahre n Urologie u Männer: Prostata-, Harnblasen-, Nierenkrebs- und Harnsteinfrüherk. (jährl.); Frauen: Harnblasen-, Nierenkrebs- und Harnsteinfrüherk. (jährl.)
n Zahnmedizin u regelmäßige ½-Jahres-Kontrollen 01, PSI-Code (Check PAR), Prophylaxe, Vorsorge Kiefergelenk, Vorsorge Rö-Aufnahmen für Kariesdiagnostik und Ausschluss krankh. Veränderungen
Alle Altersklassen n Dermatologie u Hautvorsorgeuntersuchung 1 x jährlich; insbesondere bei mehr als 50 Muttermalen, häufigen Sonnenbränden, Hellhäutigen und Rothaarigen sowie bei familiärem Hautkrebs

Risikogruppe
Berufsgruppen
– Berufskraftfahrer
Fachrichtung Art der Untersuchung
n Augenheilkunde u ab 50. Lebensjahr 5-jährlich n HNO-heilkunde u ab 50. Lebensjahr 5-jährlich n Urologie u Harnblasenkrebsfrüherkennung
– Piloten n Augenheilkunde u gemäß Bestimmung 2-jährlich n HNO-heilkunde u gemäß Bestimmung n Kardiologie/Innere Med. u gemäß Bestimmung jährlich
– Bildschirmarbeitsplatz n Augenheilkunde u ab 45. Lebensjahr 2-jährlich n Orthopädie u 5-jährlich Rücken-Check-up
– Bei Feuchtarbeiten, irritativen und n Dermatologie u gemäß berufsgenossenschaftlichen Bestimmungen sensibilisierenden Arbeitsstoffen
– Leder-, Gummi-, Textilindustrie, n Urologie u Harnblasenkrebsfrüherkennung Kaminkehrer, Bauindustrie, Friseure, Exposition gegenüber Lacken, Farben, Lösungsmitteln, Haarfärbemitteln
Diabetiker n Augenheilkunde u jährliche Netzhautuntersuchungen n Diabetologie u 3-monatliche Untersuchungen n Dermatologie u individuell, Haut-Check n Kardiologie u ab 45. Lebensjahr alle 5 Jahre n Radiologie u ab 45. Lebensjahr jährlich n Zahnmedizin u regelmäßige Parodontitisvorsorge/Kontrolle
Fam. Herzinfarkt/Schlaganfall-Belast. n Kardiologie u ab 45. Lebensjahr alle 5 Jahre
Herzkranke n Kardiologie/Innere Med. u alle 6 – 12 Monate, je nach Schwere der Erkrankung n Zahnmedizin u regelmäßige Parodontitisvorsorge/Kontrolle
Hypertoniker
n Augenheilkunde u jährliche Netzhaut- und Augendruckuntersuchungen n Gefäßchirurgie u Gefäß-Check n Innere Medizin u 6-monatliche Untersuchungen
n Kardiologie u je nach Alter, ab 45. Lebensjahr alle 5 Jahre
Immunschwäche n Dermatologie u Hautvorsorgeuntersuchung individuell bei Krebserkrankungen, Lymphomen, Leukämie, organtransplantierten Patienten, HIV Infektion, sowie Einnahme immununterdrückender Medikamente (z B. Cortison, Imurek u.a.) n Zahnmedizin u Überwachung von Infektionen in der Mundhöhle
Kurzsichtige n Augenheilkunde u ab -3,0 dpt jährlich Netzhaut-Check
Medikamentendauereinnahme
– Antikozeptiva/Hormonersatztherapie n Frauenheilkunde u 6-monatlich
– Biologicals n Dermatologie u individuell, Haut-Check
– Bisphosphonate n Zahnmedizin u Zahnsanierung vor Therapiebeginn und regelmäßige Überwachung
– Cortison n Augenheilkunde u 6-monatlich n Dermatologie u individuell, Haut-Check n Innere Medizin u 3-monatlich n Orthopädie u Messung von Osteoporose und Muskelmasse
– Chemotherapeutika (MTX, etc.) n Augenheilkunde u jährlich Gaucom-, Hornhaut-, Netzhaut-Check n Dermatologie u individuell, Haut-Check n Onkologie u Nachsorge 3-monatlich (individuell) n Urologie u Harnblasenkrebsfrüherkennung n Zahnmedizin u vor Chemotherapie Vorstellung, ggf. Zahnsanierung und regelmäßige Kontrolle

Risikogruppe

Fachrichtung Art der Untersuchung
ß-Blocker n Kardiologie/Innere Med. u jährlich
Cordarex
– Antirheumatika
n Augenheilkunde u jährlich Hornhaut-, Netzhaut-Check n Kardiologie/Innere Med. u jährlich
n Augenheilkunde u jährlich Hornhaut-, Netzhaut-Check (Gold, Resochin, MTX)
n Dermatologie u individuell, Haut-Check n Innere Medizin u 3-monatlich
Lichtsensibilisierende Pharmaka n Dermatologie u individuell, Haut-Check (z B. Tetracycline)
– Bestrahlung
Osteoporose
Raucher
Rheumatiker
Schwangere
n Zahnmedizin u vor Therapiebeginn Vorstellung, ggf. Zahnsanierung und regelmäßige Kontrolle
n Orthopädie u ab 45. Lebensjahr: 1 x jährlich Osteoporosemessung
n Augenheilkunde u jährliche Netzhautuntersuchung und Glaukomvorsorge n Gefäßchirurgie u Gefäß-Check
n HNO-heilkunde u 2 x jährliche Kehlkopfspiegelung
n Innere Medizin u jährlich
n Kardiologie u ab 45. Lebensjahr alle 5 Jahre n Radiologie u Gefäß-Check 40., 45. Lebensjahr n Urologie u Harnblasenkrebsfrüherkennung n Zahnmedizin u regelmäßige Parodontitisvorsorge/Kontrolle, Überwachung der Mundschleimhaut
n Augenheilkunde u jährlich
n Dermatologie u individuell, Haut-Check
n Innere Medizin u 3-monatlich
n Zahnmedizin u bei Kiefergelenkbeschwerden: regelmäßige Kontrolle
n Frauenheilkunde u Schwangerschaftsvorsorge n Innere Medizin u Schwangerschaftsdiabetes n Zahnmedizin u Schwangerschaftsgingivitis/Parodontitis
Sportler n Zahnmedizin u Sportschutzschienen

So einfach war Logistik noch nie!
Unsere moderne „Plug & Play“ E-Commerce-Lösung trifft auf jahrzehntelange Logistik-Erfahrung Ob bestehender Onlineshop oder Start-Up – wir übernehmen das Fulfillment für dich, damit du dich voll und ganz auf dein Kernbusiness konzentrieren kannst






Akademische Praxis für Sprachtherapie
Neurologische Erkrankungen betreffen das Gehirn und das Nervensystem. Dazu gehört z B. auch der ischämische Schlaganfall
Allein in Deutschland erleiden mehr als 200.000 Menschen jährlich einen ischämischen Schlaganfall (80– 85 % aller Schlaganfälle). Dabei handelt es sich um eine plötzlich auftretende Störung der Blutzufuhr zum Gehirn, die verschiedene Ursachen haben kann. Die Störung führt zu einem Mangel an Sauerstoff und Glukose, welche für die Funktion und den Stoffwechseln von Nervenzellen im Gehirn essentiell sind. Ohne Blutzufuhr sterben Nervenzellen schnell ab, was zu unterschiedlichen neurologischen Ausfällen führt.


bedeutet, dass möglichst keine zusätzlichen Vorschädigungen des Gehirns vorhanden sein sollten. Auch Menschen mit einem aktiven Lebensstil können sich oft besser von einem Schlaganfall erholen als andere. Bei der Erholung spielen auch das Wiedererlernen und die Kompensation eine wichtige Rolle. Beides ist nach einem Schlaganfall möglich, weil das menschliche Gehirn komplex und plastisch ist. Es verfügt über einer Billion spezifische synaptische Nervenzellverbindungen, die auch eine Funktionsreorganisation erlauben. Das trifft auch auf die Sprache zu, d h. auch sprachliche Funktionen können sich wieder erholen. Dabei spielen nach neuesten Erkenntnissen auch sog. nichtsprachliche Reservenetzwerke eine wichtige Rolle. Diese werden in die neuronalen Reorganisationsprozesse eingebunden und unterstützen die Spracherholung. In neueren Studien konnte auch gezeigt werden, dass sich sprachliche Verbesserungen Jahre nach einem Schlaganfall erreichen lassen, wenn eine intensive, spezifische sprachliche Therapie mindestens an 5 Tagen in der Woche stattfindet.
Was passiert bei einem Schlaganfall und was ist wichtig für die Erholung?
Die sicht- und spürbaren Folgen der beeinträchtigten Gehirnfunktionen können z B. Sprech- und Sprachschwierigkeiten, Schluckstörungen, Lähmungen von Gliedmaßen, ein hängender Mundwinkel oder Sehstörungen sein. Andere kognitive Einschränkungen, wie Konzentrations- und Gedächtnisprobleme oder Schwierigkeiten mit Zahlen und der Uhrzeit, werden oft erst später im Verlauf der Erkrankung bemerkt.
Betrifft der Schlaganfall die linke Gehirnhälfte, haben etwa 35– 40 Prozent der
Betroffenen zu Beginn eine Sprachstörung (Aphasie). Bei ca. 24.000 dieser Patienten (40 % der initial Betroffenen) bleibt die Sprachstörung dauerhaft bestehen. Menschen mit einer Aphasie sind oft jahreoder sogar lebenslang in ihrer Kommunikation und in ihrer Lebensqualität eingeschränkt.
Das Bild eines Schlaganfalls ist sehr vielseitig. Dies betrifft die Ursache aber auch das Erscheinungsbild. Auch die Prognose, also wie gut sich ein Patient von seinen Beeinträchtigungen erholt, ist unterschiedlich. Einflussfaktoren für die Funktionserholung sind medizinische Faktoren, wie Lokalisation, Größe und Art des Schlaganfalls. Eine wichtige Rolle spielt auch die Reservekapazität unseres Gehirns. Das
Wie geht es Betroffenen mit einer Aphasie?
Menschen, die an einer Aphasie leiden, sind in ihrer Lebensqualität deutlich eingeschränkt. Wenn die Sprache als unser wichtigstes Mittel der Verständigung nicht mehr funktioniert, nimmt das den Menschen ihr Selbstwertgefühl, einen Teil ihrer Identität und nicht selten ihren Lebensmut. So erleiden ca. 70 % aller Menschen mit einer Aphasie innerhalb des ersten Jahres eine Depression. Diese bleibt oft unerkannt und unbehandelt aufgrund der Sprach- und Kommunikationsprobleme. Eine reguläre psychotherapeutische Hilfe ist ebenfalls nicht möglich, da eine Psychotherapie „sprechende Menschen“ voraussetzt. Der bisher einzige Ausweg neben der Unterstützung durch
Partner und Familie sind für viele Betroffene Selbsthilfegruppen. Der Austausch mit anderen Betroffenen hilft ihnen nicht nur bei der Sprache, sondern auch auf ihrem Genesungsweg. Studien zeigen aber auch, dass eine intensive, verhaltensorientierte und kommunikative Sprachtherapie zu einer deutlichen Verbesserung nicht nur der Sprache, sondern auch der depressiven Symptome führt. Betroffene wünschen sich auch eine bessere Aufklärung in der Bevölkerung über das Krankheitsbild „Aphasie“. Immer wieder machen sie die Erfahrung, dass sie Menschen auf der Straße als „geistig behindert“ ansehen. Auch wenn es etwas länger dauert, wünschen sich Betroffene eine Kommunikation auf Augenhöhe.
Stellen Sie sich vor, die Wörter in Ihrem Kopf sind in einer großen Schublade fein säuberlich geordnet: Alphabetisch und auch in Sinnzusammenhängen. In einer zweiten Schublade liegen die Grammatikregeln, ebenso übersichtlich angeordnet.
Ein Schlaganfall gleicht einem Überfall auf die Sprachzentren: Die Schubladen werden herausgerissen und der Inhalt auf dem Boden zerstreut. Einiges ist kaputt gegangen, vieles noch da, aber nichts auf Anhieb zu finden.
Eine Aphasie ist KEINE geistige Behinderung!
Eine Aphasie ist eine Sprachstörung!
(Aussage eines Betroffenen, nachdem er wieder sprechen gelernt hat.)
Wie sieht es mit der Versorgung von Schlaganfallpatienten aus?
n Die medizinische Akutversorgung des Schlaganfalls in Deutschland hat ein sehr hohes Niveau.
n Aber die körperlichen, kommunikativen, sozialen und psychischen Folgen werden zu selten beachtet und zu selten behandelt.
n Auch gibt es in Deutschland kein standardisiertes Nachsorgekonzept, bei dem Patienten und Angehörige miteinbezogen werden.
n Aus Sicht der Patienten erhalten Betroffene und Angehörige in der Regel zu wenig Information über Ursachen, Prognose und Präventionsmöglichkeiten und zu geringe Unterstützung beim Wechsel von der Klinik in die ambulante Versorgung oder bei der Suche nach einem gut ausgebildeten Therapeuten.
n Eine ambulante Sprachtherapie müsste für Schlaganfallpatienten mit einer Aphasie durch Krankenkassen und Ärzte leichter zugänglich sein.
n Auch die Aphasie-Selbsthilfen müsste finanziell mehr gefördert werden.
n Wir bräuchten dringend eine bessere multiprofessionelle Vernetzung aller Beteiligten und eine einheitliche qualitative Versorgung von Schlaganfallpatienten.
Therapeutische Berufe, wie z B. der der Sprachtherapie, sind äußerst verantwortungsvoll und gesellschaftlich systemrelevant, gleich ob man in Kliniken, öffentlichen Einrichtungen oder in Praxen tätig ist. Die Aneignung des erforderlichen Fachwissens und eine qualifizierte Tätigkeit als Sprachtherapeutin/Logopädin erfordern eine hochwertige akademische Ausbildung. Fundierte neurobiologische Kenntnisse der funktionellen Organisation von Sprache und die engen Verbindungen zu anderen kognitiven Funktionen, wie Aufmerksamkeit, Arbeitsgedächtnis und Exekutivfunktionen als auch Erkenntnisse über den Verlauf der Spracherholung, sind wichtige Voraussetzungen für die Auswahl entsprechender spezifischer therapeutischer Maßnahmen, um die Restitution bei jedem Patienten bestmöglich zu unterstützen. D h. Sprachtherapeuten sollten für eine qualifizierte Therapie über dieses theoretische und praktische Wissen verfügen, damit sie Sprachstörungen wirklich effektiv behandeln können.
Sprachtherapeuten arbeiten sehr eng und oft über lange Zeit mit aphasischen Patienten, kennen ihre Probleme, ihr familiäres Umfeld und auch die Schwierigkeiten zuhause bestens. Um hier als therapeutischer Partner Hilfe leisten zu können, ist es zukünftig notwendig, dass sich Sprachtherapeuten auch in den Be-
reichen Verhaltenstherapie und Krankheitsbewältigung weiterbilden und mit Psychologen eng zusammenarbeiten. Und es wäre wünschenswert, wenn sich auch Psychologen mehr um das Krankheitsbild „Aphasie“ kümmern würden.
Eine wichtige Anlaufstelle für Menschen mit einer Aphasie ist das Aphasikerzentrum Unterfranken in Würzburg. Die Psychologen Beate Hechtle und Thomas Hupp bieten neben vielen Aktivitäten und Informationsveranstaltungen auch psychologische Beratung für Patienten, Paare und Familienangehörige an. In Aschaffenburg, Karlstadt, Miltenberg und Mömbris gibt es Kommunikations- und Angehörigengruppen.
Internet: www.aphasie-unterfranken.de

Dr. phil. Ingeborg Maser Neurolinguistin, Klinische Linguistin dbl/dbs
HIER FINDEN SIE UNS: Akademische Praxis für Sprachtherapie
Dr. phil. Ingeborg Maser Neurolinguistin/Klinische Linguistin dbs/dbl
Frohsinnstraße 28
63739 ASCHAFFENBURG
Telefon 0 60 21/45 27 27
Telefax 0 60 21/45 27 28
www.sprachtherapie-maser.de
Diabetes kann zu Nervenschäden führen.
Missempfindungen, Kribbeln, Brennen oder stechender Schmerz: Bei einer Polyneuropathie sind periphere Nerven geschädigt. Das können zum Beispiel Nerven in den Armen und Beinen sein oder solche, die innere Organe versorgen. Zu den häufigsten Ursachen dieser Nervenschädigung gehören Diabetes mellitus. Rechtzeitig behandelt lassen sich die Schäden eindämmen.

Normalerweise fließen Nervensignale vom Gehirn ohne Probleme bis in die Füße und zurück. Informationen von Berührungsreizen, dem Druck-, Temperatur- oder Schmerzempfinden sowie von Vibrationen werden an das Gehirn weitergegeben. Damit diese Kommunikation funktioniert, brauchen die Nerven Nährstoffe. Bei einer Polyneuropathie ist der Stoffwechsel aber nachhaltig gestört. Ohne ausreichend Nährstoffe werden die Signale nicht mehr in die Extremitäten übertragen. Die Auswirkungen sind unterschiedlich. Sind Nerven geschädigt, die die Muskeln versorgen, spüren Betroffene Muskelschwäche, feinmotorische Bewegungen fallen schwer. Sind dagegen die für das Gefühl verantwortlichen Anteile verschiedenster Nerven geschädigt, entstehen Empfindungsstörungen, ein Kribbeln oder ein taubes, pelziges Gefühl.
Besonders empfindlich und anfällig für Schäden sind die langen Nervenbahnen, die bis in die Füße und Zehen reichen.
Die Zehen sind daher häufig als Erstes betroffen. Sind die Beine betroffen, können sich Koordinationsprobleme beim Gehen entwickeln. Ist das Temperaturoder Schmerzempfinden gestört, kann es leicht zu Verletzungen kommen – beispielsweise Verbrennungen. In schweren Fällen kann das sogenannte autonome Nervensystem angegriffen sein. Es steuert die Funktion der inneren Organe. Daher reichen Beschwerden von einer gestörten Funktion des Magen-DarmTrakts, des Herz-Kreislauf-Systems und der Harnwege.
Die Schätzungen zur Häufigkeit der diabetischen Neuropathie gehen auseinander. Man nimmt an, dass jeder dritte an Diabetes erkrankte Mensch im Verlauf der Erkrankung betroffen sein könnte.
Eine erfolgreiche Therapie muss vor allem die Ursache der diabetischen Polyneuropathie bekämpfen – den Diabetes. Das Wichtigste sind die medikamentöse Ein-

Dr. Inga-Nadine Kummer
Fachärztin für Innere Medizin, Diabetologie, Ernährungsmedizin und Notfallmedizin
stellung des Blutzuckers, eine Lebensstiländerung und gegebenenfalls die Behandlung von Begleiterkrankungen. Bei einem langfristig und kontinuierlich gut eingestellten Blutzuckerspiegel, kombiniert mit einem gesunden, aktiven Lebensstil, lässt sich einer diabetischen Neuropathie gut vorbeugen. Rechtzeitig erkannt, bieten sich gute Möglichkeiten, einer weiteren Verschlechterung frühzeitig aktiv entgegenzuwirken. Darum ist es auch so wichtig, bei den ersten Anzeichen für Empfindungsstörungen schnell den Arzt zu konsultieren und bei einer bekannten Diabetes-Erkrankung regelmäßig die Nervenfunktionen zu untersuchen.
Durch eine bewusste, abwechslungsreiche Ernährungsweise mit viel frischem Gemüse, Hülsenfrüchten, Vollkornprodukten und hochwertigen pflanzlichen Ölen sowie durch regelmäßige Bewegung können viele Risikofaktoren gleichzeitig reduziert werden: Blutzuckereinstellung, Bluthochdruck, Fettstoffwechselstörungen und Übergewicht werden positiv beeinflusst. Auch für die Versorgung mit B-Vitaminen ist eine vollwertige Ernährung wichtig.
Natürlich ist es nicht immer einfach, sich der Diagnose und den damit verbundenen Herausforderungen im Alltag zu stellen. Dazu bietet das zertifizierte Diabetes Schulungszentrum Aschaffenburg Kurse an, die helfen, den Alltag mit Diabetes gut zu meistern. In der komplett eingerichteten Küche wird zum Beispiel beim gemeinsamen Kochen und Essen Ernährungswissen praktisch und in angenehmer Atmosphäre vermittelt.



Unser Schwerpunkt liegt in der Behandlung von Menschen mit Diabetes mellitus Typ 1 und Diabetes mellitus Typ 2 sowie Gestationsdiabetes. Zu unserem Leistungsspektrum gehören sowohl die Durchführung von individuellen Diabetesschulungen als auch die Behandlung der Füße in unserer zertifizierten Fußambulanz.
BESSER INFORMIERT –Den Diabetes mit dem Alltag zu vereinbaren, erfordert Teamwork.
Zu Beginn ist es oft schwer, sich das Leben mit Diabetes vorzustellen. Vieles ist neu, man fühlt sich unsicher. Jemanden im Umgang mit Diabetes an seiner Seite zu wissen, ist wertvoll. In unserer zertifizierten Praxis erfahren Sie Unterstützung und Zuwendung. Gemeinsam lernen, den Diabetes zu verstehen, gibt Sicherheit.
Unsere Fachbereiche im Überblick:
DIABETOLOGIE
HÄMATO-/ONKOLOGIE GASTROENTEROLOGIE FUSSAMBULANZ PALLIATIVMEDIZIN



Kieferorthopädie wird oft auf den rein ästhetischen Aspekt der Zahnkorrektur reduziert, doch in Wirklichkeit reicht ihr Einfluss weit über ein schönes Lächeln hinaus. Die richtige Verzahnung und ein gesunder Kiefer tragen wesentlich zum allgemeinen körperlichen und geistigen Wohlbefinden bei und fördern sowohl die physische als auch die psychische Gesundheit. Somit verbessert Kieferorthopädie nicht nur das Aussehen, sondern auch die Gesundheit und das Wohlbefinden.
Ein gesunder Biss ist nicht nur eine Frage der Ästhetik. Eine korrekte Verzahnung sorgt dafür, dass die Zähne und Kiefergelenke optimal funktionieren. Fehlstellungen können zu einer Vielzahl von gesundheitlichen Problemen führen.
Ein gesunder Kiefer und eine richtige Verzahnung wirken sich deshalb positiv auf das allgemeine Wohlbefinden aus. Chroni-
sche Schmerzen, die durch Kiefergelenkserkrankungen oder übermäßigen Zahnverschleiß verursacht werden, können zu einem erhöhten Stresslevel führen.
Die Behandlung solcher Fehlstellungen durch kieferorthopädische Maßnahmen kann daher nicht nur die physischen Symptome lindern, sondern auch das allgemeine Wohlbefinden verbessern. Men-
schen, die frei von chronischen Schmerzen sind, erleben häufig eine Steigerung ihrer Lebensqualität.
Ein schönes Lächeln ist oft das erste, was Menschen an einem anderen bemerken, und es kann einen erheblichen Einfluss auf das Selbstbewusstsein und die Psyche haben. Menschen mit geraden, gesunden Zähnen neigen dazu, selbstbewusster zu lächeln, was wiederum positive soziale Interaktionen fördert. Studien haben gezeigt, dass Menschen, die mit ihrem Lächeln zufrieden sind, häufiger lächeln und lachen, was wiederum die Produktion von Endorphinen (den sogenannten Glückshormonen) anregt. Lächeln und Lachen sind zudem natürliche Stressabbau-Mechanismen und tragen zur Verbesserung der Stimmung und des allgemeinen Wohlbefindens bei.
Unzufriedenheit mit dem eigenen Lächeln hingegen kann zu einem verminderten Selbstwertgefühl und sogar zu sozialer Zurückgezogenheit führen. Dies kann sich negativ auf die psychische Gesundheit auswirken und im schlimmsten Fall Angstzustände und Depressionen begünstigen.
Kieferorthopädie sollte nicht als rein kosmetische Maßnahme betrachtet werden. Die Korrektur von Zahn- und Kieferfehlstellungen trägt wesentlich zur Förderung der allgemeinen Gesundheit bei. Ein gesunder Kiefer und eine korrekte Verzahnung verbessern nicht nur die körperliche Gesundheit, sondern wirken sich auch positiv auf das geistige Wohlbefinden aus. Ein schönes, selbstbewusstes Lächeln kann positiv auf die Psyche wirken und ist somit ein wichtiger Faktor für das seelische Gleichgewicht.
In diesem Sinne ist die Kieferorthopädie ein wesentlicher Bestandteil der ganzheitlichen Gesundheitsvorsorge, der weit über die ästhetischen Aspekte hinausgeht. Sie trägt dazu bei, das Leben gesünder, glücklicher und erfüllter zu gestalten.

Vorübergehend hier: Frohsinnstr. 17 63739 Aschaffenburg 06021.440700

Fersenschmerz


Morton Neurom Metatarsalgie
Vorfußschmerzen, auch bekannt als Metatarsalgie, sind eine häufige Beschwerde, die sich durch Schmerzen und Entzündungen im vorderen Teil des Fußes auszeichnet. Diese Schmerzen können bei alltäglichen Aktivitäten, wie Gehen, Laufen oder Stehen, erhebliche Beschwerden verursachen und die Lebensqualität beeinträchtigen. In diesem Text werden die Ursachen, Symptome und Behandlungsmöglichkeiten für Vorfußschmerzen detailliert erläutert, um betroffenen Patienten eine fundierte Grundlage für den Umgang mit dieser schmerzhaften Problematik zu bieten.
Vorfußschmerzen können durch eine Vielzahl von Faktoren ausgelöst werden. Zu den häufigsten Ursachen zählen:
1. Überbelastung: Häufige oder intensive Aktivitäten, wie Laufen, Springen oder langes Stehen, können zu einer Überbelastung der Mittelfußknochen führen. Diese Überlastung kann Entzündungen und Schmerzen verursachen, besonders in der Region um die Mittelfußköpfchen, die die Druckpunkte beim Gehen und Stehen darstellen.
2. Fehlstellungen des Fußes: Anatomische Fehlstellungen wie Plattfüße, Hohlfüße oder ein Hallux valgus (Schiefstand der Großzehe) können das Gleichgewicht der Kräfte im Fuß verändern. Dies führt zu einer ungleichen Belastung des Vorfußes, was wiederum Schmerzen verursacht. Genetisch bedingte Unterschiede in den Fussknochen können auch Fehlbelastungen verursachen.
3. Ungeeignetes Schuhwerk: Das Tragen von Schuhen mit hohen Absätzen, enger Zehenbox oder unzureichender Polsterung kann den Druck auf den Vorfuß erhöhen und zu Schmerzen führen. Ins-
besondere Schuhe mit hohen Absätzen verlagern das Gewicht auf den Vorfuß, was zu einer übermäßigen Belastung dieser Region führt.
4. Übergewicht: Übermäßiges Körpergewicht erhöht den Druck auf die Füße und kann die Wahrscheinlichkeit von Vorfußschmerzen erhöhen, insbesondere bei längerem Gehen oder Stehen.
5. Neurologische Ursachen: Nervenkompressionssyndrome, wie das MortonNeurom, können ebenfalls zu Vorfußschmerzen führen. Dabei handelt es sich um eine Verdickung des Nervengewebes zwischen den Mittelfußknochen, die starke blitzartige einschießende Schmerzen und ein brennendes Gefühl verursachen kann.
Vorfußschmerzen äußern sich typischerweise durch folgende Symptome:
• Stechende oder brennende Schmerzen im vorderen Bereich des Fußes, insbesondere in der Nähe der Mittelfußknochen.
• Taubheitsgefühl oder Kribbeln in den Zehen.
• Schmerzen bei Belastung, die sich beim Gehen, Laufen oder langen Stehen verschlimmern.
• Schwellungen oder Rötungen im betroffenen Bereich.
• Hühneraugen oder Schwielen unter den Mittelfußköpfchen aufgrund übermäßigen Drucks.
Die Diagnose von Vorfußschmerzen erfolgt in der Regel durch eine Kombination aus Anamnese, körperlicher Untersuchung und bildgebenden Verfahren. Der Arzt wird den Patienten nach den genauen Symptomen, deren Dauer und den Umständen des Auftretens fragen. Bei der körperlichen Untersuchung werden die Druckpunkte im Vorfuß abgetastet und die Beweglichkeit der Zehen geprüft.
In einigen Fällen kann es erforderlich sein, Röntgenaufnahmen, eine Ultraschalluntersuchung oder seltener MRT (Magnetresonanztomographie) durchzuführen, um strukturelle Probleme oder Verletzungen wie Stressfrakturen, Gelenkentzündungen oder Nervenkompressionen zu identifizieren.
Die dynamische Laufbandanalyse mit Fußdruckmessung führt zu einer weiteren Ursachenfindung und damit zur Optimierung der Therapie.
Behandlungsmöglichkeiten
Die Behandlung von Vorfußschmerzen zielt darauf ab, die Schmerzursache zu beseitigen, die Symptome zu lindern und zu-
künftigen Beschwerden vorzubeugen. Die Therapie kann konservativ oder in schwereren Fällen operativ erfolgen.
1. Konservative Therapie
• Ruhigstellung und Schonung: Die Vermeidung belastender Aktivitäten, insbesondere solcher, die Druck auf den Vorfuß ausüben, ist der erste Schritt zur Linderung von Schmerzen. Betroffene sollten sich ausreichend ausruhen und Überbeanspruchung vermeiden.
• Schuhmodifikation: Das Tragen von Schuhen mit breiter Zehenbox, guter Dämpfung und niedrigem Absatz kann den Druck auf den Vorfuß verringern. Einlagen oder orthopädische Schuheinlagen können zusätzlich helfen, den Fuß zu stützen und die Druckverteilung zu verbessern.
• Dehnübungen und Kräftigung der Fußmuskulatur können helfen, die Stabilität und Flexibilität des Fußes zu verbessern, Fehlstellungen zu korrigieren und die Belastung gleichmäßiger zu verteilen.
• Medikamentöse Behandlung: Schmerzmittel und entzündungshemmende Medikamente wie Ibuprofen können eingesetzt werden, um akute Schmerzen und Entzündungen zu lindern. In einigen Fällen kann auch eine Kortisoninjektion in den betroffenen Bereich in Erwägung ge-
zogen werden, um die Entzündung zu reduzieren.
• Stosswellentherapie (radial und fokussiert) sowie die neueste Technik der Magnetfeldtherapie (Magnetotransduktionstherapie) erhöhen die Stoffwechselaktivität der Gewebezellen und fördern die Regeneration bzw. Ausheilung entzündlicher Areale (z B. bei Fersensporn).
2. Chirurgische Behandlung
Bei anhaltenden oder schweren Vorfußschmerzen, die auf konservative Maßnahmen nicht ansprechen, kann ein chirurgischer Eingriff erforderlich sein. Mögliche Eingriffe umfassen:
• Korrektur von Fehlstellungen: Wenn eine strukturelle Fehlstellung wie ein Hallux valgus vorliegt, kann eine Operation notwendig sein, um die Stellung der Knochen zu korrigieren und die Belastung des Vorfußes zu reduzieren.
• Entfernung eines Morton-Neuroms: Bei einem Morton-Neurom kann eine operative Entfernung des verdickten Nervengewebes erforderlich sein, um die Schmerzen zu beseitigen.
• Osteotomie: Bei dieser Operationstechnik wird ein Teil des Knochens entfernt oder repositioniert, um den Druck auf die betroffenen Mittelfußköpfchen zu verringern.
Prävention von Vorfußschmerzen
Um Vorfußschmerzen vorzubeugen, sollten Patienten auf eine gute Fußhygiene und das Tragen geeigneter Schuhe achten. Regelmäßige Dehn- und Kräftigungsübungen für die Füße können dazu beitragen, die Muskulatur zu stärken und Fehlstellungen zu verhindern. Darüber hinaus ist es wichtig, Übergewicht zu vermeiden und die Füße nicht übermäßig zu belasten.
Vorfußschmerzen sind ein häufiges und oft belastendes Problem, das durch eine Vielzahl von Faktoren ausgelöst werden kann. Die Behandlung erfordert eine individuelle Herangehensweise, die sowohl konservative als auch gegebenenfalls chirurgische Maßnahmen umfassen kann. Durch eine frühzeitige Diagnose und gezielte Therapie lassen sich die Schmerzen in den meisten Fällen erfolgreich lindern und zukünftige Beschwerden verhindern. Die Praxis Dr. Fecher und Kollegen in Aschaffenburg ist spezialisiert auf die Behandlung von Vorfuß- und Fersenschmerzen, die sowohl konservativ als auch gegebenenfalls operativ durchgeführt werden kann. Termine können über Doctolib, per E-Mail an info@dr-fecher.de oder telefonisch unter 0 60 21 / 58 03 10 vereinbart werden.



Sichtbares Blut im Urin (Makrohämaturie) ist beunruhigend und niemals normal, auch wenn bereits geringe Mengen Blut eine intensive Rotfärbung auslösen können. Daher sollte immer ein Urologe aufgesucht und die Ursache dafür abgeklärt werden.
Bei rötlich gefärbtem Urin besteht primär immer der Verdacht, es sei Blut im Urin (Hämaturie). Nicht immer ist das der Fall. Neben Erkrankungen von Niere, Harnleiter, Blase, Prostata und Harnröhre gibt es auch harmlose Ursachen.
So enthalten bestimmte Lebensmittel hohe Mengen an pflanzlichen Farbstoffen, die den Urin stark anfärben können. Dazu zählen vor allem Rote Bete, Blau- und Brombeeren oder Rhabarber. Nahrungsmittel und Getränke mit bestimmten Lebensmittelfarbstoffen haben eine ähnliche Wirkung.
Auch manche Medikamente können den Urin rötlich färben: Hierzu zählen beispielsweise verschiedene Antibiotika wie Penicilline und Sulfonamide sowie Zytostatika.
Auch intensive körperliche Anstrengung kann eine Ursache für eine Rotfärbung des Urins sein. Dies ist auf mikroskopisch kleine Verletzungen in den Muskeln zurückzuführen, die Myoglobin (ein Muskelprotein, roter Muskelfarbstoff) freisetzen.
Bei Frauen kommt als mögliche Ursache hinzu, dass Menstruationsblut in den Urin gelangen und diesen anfärben kann.
Sind solche harmlosen Faktoren ausgeschlossen, sollte zeitnah ein Urologe konsultiert werden. Denn für das Auftreten von Blut im Urin kann es verschiedene Gründe geben, bei denen ein möglichst früher Behandlungsbeginn essenziell ist.
Ist die Makrohämaturie begleitet von Schmerzen im Bereich der Harnwege, lassen sich oftmals folgende Ursachen finden:
– Harnsteine, welche, nach primärer Entstehung in den Nierenkelchen, im Rahmen ihres Abgangs auf dem Weg zur Harnblase im Harnleiterverlauf als Harnleitersteine stecken bleiben, führen durch Verletzung der Schleimhaut der Harnleiterwand zu Blutungen und werden aufgrund des entstehenden Harnstaus von kolikartigen Flankenschmerzen begleitet, die in den Unterbauch, die Harnblase, die Leiste und das äußere Genitale ausstrahlen können. Auch Übelkeit und Erbrechen sind in diesem Zusammenhang typisch.
– Infektionen der Blase (Zystitis), der Nieren (Pyelonephritis) oder der Prostata (Prostatitis) verursachen Brennen beim Wasserlassen, häufigen Harndrang, Schmerzen im Unterbauch oder in der Flanke, bei Beteiligung von Nieren oder Prostata meist begleitet von allgemeinem Krankheitsgefühl, Frösteln und Fieber.
– Harnblasensteine erkennt man an Unterbauchbeschwerden, häufigem und schmerzhaftem Harndrang sowie oftmals auch Unterbrechungen des Harnstrahls (Stottermiktion).
– Traumata der ableitenden Harnwege verursachen Schmerzen im Bereich der Verletzung, Blutergüsse und Schwellungen.
Ist das Auftreten von Blut im Urin nicht von Schmerzen begleitet, muss insbesondere an folgende Ursachen gedacht werden:
– Die gutartige familiäre Hämaturie (dünne Basalmembran-Nephropathie) ist eine vererbte Erkrankung, bei welcher im Rahmen des Filtrationsprozesses der Nierenkörperchen vermehrt rote Blutkörperchen in den Urin gelangen, und dies ohne weitere Symptome. –
Eine vergrößerte Prostata (benigne Prostatahyperplasie) kann beim Mann nicht nur zu Schwierigkeiten beim Wasserlassen, sondern auch schmerzloser Makrohämaturie durch Blutungen von Krampfadern am Blasenhals (Prostatavarizenblutung) führen.
Eine chronische Entzündung der Nierenkörperchen (Glomerulonephritis), meist ausgelöst durch Autoimmunerkrankungen und genetische Ursachen, wird neben einer Hämaturie auch meist von einer erhöhten Eiweissausscheidung (Proteinurie) im Urin sowie Ödemen und Bluthochdruck begleitet.
- Die polyzystische Nierenerkrankung ist durch eine genetisch bedingte Bildung multipler Zysten (flüssigkeitsgefüllter Hohlräume) in den Nieren gekennzeichnet und führt neben Hämaturie zu Bluthochdruck und Niereninsuffizienz.
– Insbesondere bei Krebserkrankungen der Nieren, Harnleiter, Harnblase oder Prostata ist sichtbares Blut im Urin ein typisches Merkmal, oftmals jedoch leider kein Frühsymptom. Schmerzen, Gewichtsverlust und andere Allgemeinsymptome weisen auf fortgeschrittene Stadien hin.
Aus diesem Grund ist hier eine gewissenhafte Krebsfrüherkennung durch regelmäßige Vorsorgeuntersuchungen ohne jegliche Beschwerden essentiell.
In allen Fällen gilt: Je früher die Behandlung eingeleitet wird, desto besser ist die Prognose einer Erkrankung.
Bei der Diagnostik wird ein systematisches Vorgehen angewandt, um die Ursache zu identifizieren. Die folgenden Schritte sind typisch:
Zu Beginn findet eine detaillierte Erhebung der Krankengeschichte einschließlich Dauer und Häufigkeit der Hämaturie statt. War die Rotfärbung zu Beginn, am Ende des Wasserlassens oder war der ganze Harnstrahl betroffen? Es gibt Fragen zu Begleitsymptomen wie Schmerzen, Fieber, Gewichtsverlust und Veränderungen der Miktion wie nächtliches Wasserlassen, häufiger und/oder verstärkter Harndrang, Harnstrahlabschwächung, Brennen beim Wasserlassen, etc.. Ebenso ist die Ermittlung von Risikofaktoren wie Rauchen, familiäre Erkrankungen, frühere Infektionen oder Traumata und Medikamenteneinnahmen (z B. Blutverdünner) sehr wichtig.
Im Anschluss an das Arzt-Patienten-Gespräch findet eine umfangreiche körperliche und gezielte urologische Untersuchung statt. Daraufhin folgen als eine wichtige Diagnostiksäule die Laboranalysen:
Hierzu zählen erstens die Urinanalyse zum Nachweis von Erythrozyten, Leukozyten, Bakterien, Proteinen und kristallinen Strukturen, etc. und zweitens die Blutuntersuchungen zur Bestimmung von Blutbild, Elektrolyten, Nierenfunktionswerten (Kreatinin, Harnsäure und Harnstoff), Entzündungsparametern (CRP) und Tumormarkern (z B. PSA bei Männern).
Bildgebende Verfahren schließlich sind ein weiterer sehr wichtiger Diagnostikanteil, um den Grund für das Vorkommen von Blut im Urin zu ermitteln. Insbesondere die Ultraschalluntersuchung ist schnell, einfach durchführbar und erfolgt grundsätzlich als bildgebende Basismethode.
Um eine Blutungsursache im Bereich von Nierenbecken oder Harnleiter abzuklären, ist eine radiologische Diagnostik mit Kontrastmittelgabe in Form eines Infusionsurogramms (konventionelle Röntgendiagnostik) oder einer Schnittbildgebung im Sinne einer Computertomografie (CT) oder Magnetresonanztomografie (MRT) erforderlich.
Die endoskopische Abklärung der Harnblase (Blasenspiegelung) ist die wichtigste urologische Diagnostikmethode in diesem Zusammenhang, da die statistische Wahrscheinlichkeit einer Blutungsursache im Bereich der unteren ableitenden Harnwege am größten ist. Auch eine endoskopische Abklärung von Harnleitern und Nierenbecken ist in seltenen Fällen erforderlich, um das Ziel einer präzisen Identifikation der Makrohämaturie-Ursache zu erreichen.
Wurde mit den genannten Methoden die exakte Diagnose gestellt, kann die geeignete Therapie gewählt werden:
– Bakterielle Infektionen werden in der Regel mit Antibiotika behandelt.
– Kleine Harnleitersteine werden konservativ angegangen und unter medikamentöser Schmerztherapie mit viel Flüssigkeit ausgespült, während größere Steine in der Regel einer invasiven meist endoskopischen Therapie bedürfen, bei der eine Zerkleinerung mittels Laser und nachfolgende Extraktion der Fragmente erfolgt.
Leichte traumatische Verletzungen der Harnwege erfordern oftmals keine spezifische Behandlung und heilen selbstständig aus, während schwerere Verletzungen einer operativen Versorgung bedürfen.
Um Krebserkrankungen der ableitenden Harnwege zu heilen, kommen multiple Arten von endoskopischen, laparoskopischen (mittels Bauchspiegelung) und offen operativen Methoden sowie Strahlentherapie und Chemotherapie zur Anwendung, je nach Lage, Art und Stadium des Tumors. Eine Rotfärbung des Urins, und sei es auch nur einmalig und flüchtig, ist also ein Symptom, das niemals ignoriert werden darf und immer fachurologisch abgeklärt werden muss. Eine frühzeitige Diagnose und Behandlung sind entscheidend, um ernsthafte gesundheitliche Folgen zu vermeiden.
Dr. med. Patrick Sawaya



Krebsvorsorgeuntersuchungen


Geschlechtserkrankungen



Ambulante Prostatakrebstherapie durch SeedImplantation


Prostata- und Samenblasenerkrankungen

Fruchtbarkeitsuntersuchungen bei unerfülltem Kinderwunsch




Harnblasen und Harnröhrenerkrankungen sowie Harninkontinenz

Kinderurologie


Erkrankungen des äußeren Genitales incl. Hodenund Peniserkrankungen

Nieren- und Harnleitererkrankungen



Potenzstörungen und Aging Male


Ambulante Operationen und Endoskopie

Wir sind Mitglied im Expertenportal für Vasektomien
Zusatzbezeichnung Männerarzt durch das Institut cmi





Ludwigstraße 4
63739 Aschaffenburg
Telefon: 0 60 21 / 1 33 55
Fax: 0 60 21 / 21 90 01
info@dr-sawaya.de www.dr-sawaya.de


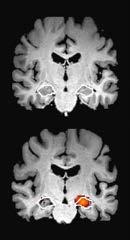
Was die neuen Medikamente gegen Alzheimer können und was nicht.
Etwa 1,8 Millionen Menschen leben in Deutschland mit einer Demenz. Die Deutsche Alzheimer Gesellschaft geht von 430.000 neuen Demenzerkrankungen pro Jahr aus, in etwa Dreiviertel der Fälle handelt es sich dabei um eine Alzheimer-Erkrankung.

Bislang ist noch keine Heilung der Erkrankung möglich, erstmals können nun aber spezielle Medikamente die Plaques im Gehirn von Alzheimer-Erkrankten auflösen. Die Namen dieser Medikamente klingen kompliziert und sehr ähnlich: Lecanemab und Donanemab. Das „mab“ am Ende steht für „Monoclonal Antibody“ – die Präparate bestehen also aus Antikörpern. Sie sollen krankhafte Eiweiß-Verklumpungen (Plaques) bekämpfen, das sogenannte Beta-Amyloid. In einer 18 -monatigen Studie schnitten leicht erkrankte Patientinnen und Patienten, die den jeweiligen Wirkstoff erhielten, in Gedächtnistests messbar besser ab. Die Erkrankung schritt in der Lecanemab-Gruppe um 27 Prozent langsamer als in der Kontrollgruppe voran. Unter Donanemab verzeichnete man sogar eine Verlangsamung von 35 Prozent. Die Zahlen klingen erst mal beeindruckend, in der Realität bedeutet es jedoch eine Verzögerung des Verlaufes um höchstens ein paar Monate. Für viele Betroffene und Angehörige kann dies allerdings auch schon ein großer Fortschritt sein, es könnte weitere Lebensjahre mit geringerer Einschränkung bedeuten. Vor allem in der Frühphase der Erkrankung können die Patien-
ten von der Therapie profitieren, im späteren Stadium ist das Gehirn schon zu sehr beschädigt. Lecanemab wurde im Sommer 2023 in den USA durch die FDA (Food and Drug Administration) zugelassen, die Entscheidung der Europäischen Arzneimittel-Agentur wird voraussichtlich im Laufe des Jahres 2024 erfolgen. Auch für Donanemab wurde die FDA-Zulassung beantragt.
Die Therapie wird für alle Beteiligten sehr aufwendig sein. Wie der genaue Therapieprozess laufen wird, ist zum jetzigen Zeitpunkt noch nicht abschließend geklärt. Aktuell werden noch die entsprechenden Voraussetzungen in den verschiedenen Zentren und Arztpraxen geschaffen. Zu Beginn werden mindestens eine MRT-Untersuchung des Gehirns, eine Nervenwasseruntersuchung und neuropsychologische Tests zur Erfassung der Gedächtniseinschränkungen benötigt. Während der Behandlung muss eine engmaschige Betreuung erfolgen, unter anderem mit weiteren regelmäßigen MRT-Untersuchungen zur Verlaufskontrolle, vor allem zu Beginn der Therapie. Die Behandlung wird über mehrere
Monate andauern, die genaue Dauer ist aktuell noch gar nicht bekannt. Es ist auch nicht klar, welche Auswirkungen die Therapien auf lange Sicht haben, das muss noch beobachtet und ausgewertet werden.
Wie jede Medikation kann auch diese Nebenwirkungen verursachen. Es kann zu Hirnschwellungen kommen, auch wurden kleinere Hirnblutungen nachgewiesen, welche jedoch in den meisten Fällen symptomlos verliefen. Das bedeutet jedoch zugleich ein erhöhtes Risiko für eine stärkere Hirnblutung. Es müssen daher Betroffene ausgeschlossen werden, die ein erhöhtes Blutungsrisiko haben, zum Beispiel Menschen mit Blutgerinnungsstörungen oder solche, die Gerinnungshemmer einnehmen. Unter dem Strich kommt damit am Ende höchstens jeder zehnte Alzheimer-Erkrankte überhaupt in Frage.

Trotz all der noch bestehenden Unklarheiten und der großen Herausforderungen wurde mit dieser Therapie ein Meilenstein geschaffen, der den Weg für weitere Therapien in der Zukunft geebnet hat. Die neurologische Forschung schreitet aktuell schneller voran als je zuvor und bringt eine Vielzahl an neuen Therapiemöglichkeiten hervor. Die Hoffnung besteht durchaus, dass die Alzheimer-Erkrankung innerhalb der nächsten zehn Jahre, wenn nicht heilbar, dann doch zumindest beherrschbar wird. Nachdem Alois Alzheimer 19 06 bei der Sezierung seiner Patientin Auguste Deter ein mit Eiweißablagerungen (welche später den Namen Amyloid-Beta erhalten) durchsetztes Gehirn gefunden hat, gibt es nun erstmals Medikamente, die diese krankhaften Verklumpungen wieder abbauen können. Ein bisschen Euphorie darf daher durchaus sein.
Ihre Dr. Jessica Herröder Fachärztin für Neurologie Neuropraxis im Stadtpalais
Mit wissenschaftlicher Expertise und fachärztlicher Kompetenz kümmern wir uns mit unserem erfahrenen Team aus drei Fachärzten für Neurologie sowie medizinischen Fachangestellten als zertifiziertes Schwerpunktzentrum für Multiple Sklerose und Parkinson um Ihre Gesundheit, was Erkrankungen des zentralen und peripheren Nervensystems und der Muskeln betrifft. Langjährig etabliert, bietet die Gemeinschaftspraxis mit ihrer neuen Ärztegeneration eine neue Philosophie mit moderner Diagnose und Therapie in Verbindung mit Sorgfalt und zeitgemäßer Organisationsstruktur. Insbesondere das neue OnlineTerminbuchungssystem reduziert Wartezeiten.



Unser Diagnostik- und Behandlungsspektrum in der Neurologie:
n Duplexsonographie
n Klinische Neurophysiologie
n Liquordiagnostik
n Infusionstherapie
n Botulinumtoxin-Therapie bei Bewegungsstörungen
n Studienzentrum neue Therapien
Unsere Schwerpunkte und Spezialitäten:
n Multiple Sklerose (DMSG)
n Parkinson-Erkrankungen
n Neuromuskuläre Erkrankungen und Neuropathien
n Bewegungsstörungen und Dystonien
n Migräne
n hATTR-Amyloidose
Stadtpalais | Elisenstraße 32 | Eingang B

Ein schwankender Hormonspiegel in den Wechseljahren kann den Gemütszustand aus der Balance bringen. Depressionen oder depressive Verstimmungen als Symptom der Wechseljahre sind nicht ungewöhnlich.
Jede dritte Frau leidet in den Wechseljahren unter schweren Beschwerden. Da reden wir nicht mehr von gelegentlicher aufsteigender Hitze, sondern von Schlafstörungen, Gelenkschmerzen, die einer Arthritis gleichkommen, Herzklopfen oder sonstigen Beschwerden, die die Lebensqualität gravierend einschränken.
Während der Wechseljahre steigt für Frauen die Wahrscheinlichkeit, psychische Probleme wie Depressionen und Angstzustände zu entwickeln. Die depressiven Symptome sind dabei oft ausgeprägter als in den Jahren vor dem Wechsel oder in der Zeit nach der Menopause.
Eine sehr wahrscheinliche Erklärung für das häufige Auftreten von psychischen Wechseljahrbeschwerden sind die natürlichen Schwankungen des weiblichen Hormonspiegels in dieser Zeit durch die abnehmende Aktivität der Eierstöcke. Diese Hormonschwankungen wirken sich auch auf Vorgänge im zentralen Nervensystem im Gehirn aus. Genauer gesagt wirken sie auf jene Schaltkreise, die auch für die Entstehung von Depressionen verantwortlich sind. Das führt auch dazu, dass sich depressive Verstimmungen, die schon vor den Wechseljahren aufgetreten sind, in dieser Phase wieder merklich verschlimmern können.
Beteiligt sind auf jeden Fall Botenstoffe im Gehirn, die bestimmte Nervenzellen aktivieren. Die Konzentration dieser Botenstoffe im Gehirn wird unter anderem auch durch Sexualhormone beeinflusst. Schwankende Progesteron- und Östrogenspiegel in den Wechseljahren können daher auf diese Weise den Gemütszustand aus der Balance bringen.
Umgangssprachlich werden Estradiol und die beiden damit eng verwandten weiblichen Sexualhormone Estron und Estriol oft als Östrogen bezeichnet. Estradiol ist das Wirksamste dieser drei Hormone. Aus diesem Grund wird es auch als Therapeutikum verwendet.
Geschlechtsspezifische Funktionen des Hormons sind bereits während der embryonalen Entwicklung von Bedeutung. Ohne Estradiol könnten die weiblichen Geschlechtsorgane nicht entstehen. In der Pubertät regt es die Ausprägung der weiblichen Geschlechtsmerkmale an und trägt während der fruchtbaren Phase maßgeblich zum Ablauf des weiblichen Zyklus bei.
Zu den geschlechtsunspezifischen Funktionen von Estradiol gehören die Beeinflussung des Knochenwachstums und der Knochendichte, der Erhalt der Knochenmasse sowie Effekte auf Durchblutung und Blutgerinnung. Daneben nimmt das Hormon auch Einfluss auf die Beschaffenheit der Haut sowie den Fettstoffwechsel. Im Gehirn fördert es die Ausschüttung von endogenen Opiaten wie Dopamin und Katecholamin. Hiermit beeinflusst Estradiol unter anderem die Stimmungslage.
Symptome der Wechseljahre können durch eine Hormonersatztherapie häufig stark vermindert oder vollständig beseitigt werden. Wichtig ist generell, bei Beschwerden der Wechseljahre und vor allem bei anhaltenden psychischen Veränderungen bzw. auch andauernden Schlafproblemen rasch professionelle ärztliche Hilfe zu suchen. Bei depressiven Verstimmungen aufgrund von hormonellen Ungleichgewichten kann eine Hormon-Ersatztherapie in Kombination mit Veränderungen der Lebensweise wie Sport, ausgewogener Ernährung und Entspannungsübungen durchaus helfen. Heute werden die Therapien exakt auf die Bedürfnisse der Patientin eingestellt. Dabei wendet man die Präparate für die Hormonersatztherapie wie Estradiol, im Gegensatz zu früher, vor allem transdermal als Gel über die Haut an, um Nebenwirkungen und Risiken zu vermeiden bei gleichwertiger Wirksamkeit.

Nadine Dettmar Fachärztin für Frauenheilkunde und Geburtshilfe
Dr. Alexander Henze Facharzt für Frauenheilkunde und Geburtshilfe
Dr. Maxi Neu Fachärztin für Frauenheilkunde und Geburtshilfe
● Vorsorge
● Intensivüberwachung während der Schwangerschaft: CTG, Farb-Doppler-Ultraschall, 2D-/3D-/4D-Ultraschall
● Hochau ösender Brustultraschall der Stufe II nach DEGUM
● Invenia ABUS 2.0, vollautomatischer 3D-Brustultraschall
● Ultraschallkontrollierte Mammastanzbiopsie
● Digitale Mammographie mit Tomosynthese
● Mammographiescreening
● Medikamentöse Tumortherapie
● Hormonsprechstunde
● Verhütungsberatung, Spiralen, Kupferkette
● Kinder-/Jugendgynäkologische Sprechstunde
● Akupunktur (A-Diplom)
Dr. Katja Rolke Fachärztin für Frauenheilkunde und Geburtshilfe
● Ästhetische Medizin
Karin Schneider Assistenzärztin für Frauenheilkunde und Geburtshilfe
– Faltenbehandlung mit Botox und Hyaluronsäure
– Lipolyse-Injektion (Fettweg-Spritze)
– Vitamin- und Wellnessinfusionen
– Botoxbehandlung bei verstärktem Schwitzen (Hyperhidrosis)
– Microneedling

Dr. Alexander Henze und Kolleginnen
Vorhofflimmern ist jährlich bei mindestens 20 Prozent aller Schlaganfälle die Ursache – das heißt: Etwa jedes Fünfte dieser meist dramatischen Ereignisse geht auf das Konto dieser Herzrhythmusstörung.

Vorhofflimmern ist eine tückische Volkskrankheit. Denn nur bei etwa zwei Drittel der schätzungsweise 1,5 bis 2 Millionen Patienten mit Vorhofflimmern in Deutschland macht sich die Herzrhythmusstörung mit spürbaren Beschwerden wie Herzstolpern und unregelmäßigem oder chaotischem Herzschlag bis zum Hals, Druckgefühl im Brustkorb, Angst, Luftnot, Schwindelgefühl oder Leistungsschwäche bemerkbar. Bei den anderen tritt Vorhofflimmern ohne Symptome oder größere Beschwerden auf.
Heute weiß man, dass sich bei Vorhofflimmern durch die gestörte Herzbewegung und Umbauprozesse im Herzen die fein austarierte Balance der natürlichen Gerinnungsfähigkeit des Blutes in Rich-
tung einer lebensbedrohlichen Gerinnselbildung verschiebt. Beim Vorhofflimmern fibrillieren nur die Vorhöfe – das heißt, sie zucken unregelmäßig, rasch und unkoordiniert. Vorhofflimmern wird durch elektrische Fehlreize ausgelöst. Ihr Ursprung liegt meist in den Lungenvenen, die in den linken Vorhof münden. In der Regel stellt das Vorhofflimmern keine akute Gefahr dar. Wird es jedoch nicht behandelt, kann es mit der Zeit zu schwerwiegenden Folgen und einem hohen Leidensdruck bei den Betroffenen kommen. Neben Beschwerden wie Luftnot, Belastungseinschränkung, Angina pectoris, Herzstolpern und Herzrasen besteht ein deutliches Risiko für einen Schlaganfall. Dieses Risiko nimmt mit dem Lebensalter sowie mit zusätzlichen Erkrankungen (z B. Bluthoch-
druck, koronare Herzkrankheit, Herzschwäche, Diabetes) oder bei Übergewicht zu. Es tritt bei Männern auch etwas häufiger als bei Frauen auf.
Durch die elektrischen Fehlreize ziehen sich die Vorhöfe nicht mehr geordnet zusammen, sondern flimmern. Dadurch sinkt auch der Blutfluss in den Vorhöfen und das Blut gerinnt leichter. Es kann ein Thrombus (Blutpfropf) entstehen, der in den Blutkreislauf gespült wird und so auch in die Gehirngefäße gelangt. Da die Blutgefäße immer kleiner werden, je größer die Entfernung zum Herzen ist, bleibt der Thrombus irgendwann im Gefäß stecken und verstopft es (Embolie). Es kommt es zu einer abrupten Unterbrechung des Blutflusses – im Gehirn etwa unterbleibt die lebenswichtige Versorgung mit Sauerstoff und Nährstoffen. Man spricht dann von einem ischämischen Schlaganfall. Wird der Blutfluss nicht schnellstmöglich wiederhergestellt, sterben Gehirnzellen ab und Gehirnfunktionen fallen aus. Die typischen Folgen: Lähmungserscheinungen, Sprach- oder Sehstörungen. Bei zügiger Behandlung können sich diese Symptome manchmal wieder zurückbilden. In anderen Fällen bleiben sie dauerhaft bestehen oder enden bei einem schweren Schlaganfall tödlich. Wir alle können bestimmte Schritte ergreifen, um unser Risiko zu senken. Durch bestimmte Lebensstiländerungen können wir unser Risiko verringern und auch anderen Herz-Kreislauferkrankungen vorbeugen. Achten Sie auf Ihr Gewicht – Übergewicht ist ein Risikofaktor für Vorhofflimmern und begünstigt Diabetes, Hypertonie und Schlafapnoe, die alle das Risiko erhöhen, Vorhofflimmern zu entwickeln. Ernähren Sie sich fettärmer – es besteht eine Verbindung zwischen fettreicher Ernährung und Vorhofflimmern sowie Arteriosklerose. Halten Sie bei Alkoholkonsum die empfohlenen Grenzwerte ein – übermäßiger Alkoholkonsum ist ein Risikofaktor für Vorhofflimmern und erhöht ebenfalls das allgemeine Schlaganfallrisiko. Auch übermäßiger Koffeinkonsum und sogenannte Energy-Drinks können Vorhofflimmern auslösen.
Gehen Sie rechtzeitig zum Arzt, wenn Sie Symptome für ein Vorhofflimmern bei sich bemerken. Zwar kann jede/r Vierte im Laufe des Lebens einen Schlaganfall erleiden – fast alle Schlaganfälle lassen sich jedoch durch das Ergreifen einfacher Schritte und die rechtzeitige Beratung durch einen Arzt vermeiden.

Dr. med. Andreas Görz, Priv.-Doz. Dr. med. Werner Peters (von links)
Unsere Leistungen:
n Kardiologie
– Untersuchungen:
• Gespräch und körperliche Untersuchung
• Ruhe-EKG
• Belastungs-EKG
• Langzeit-EKG/Event-Recorder
• Langzeit-Blutdruckmessung
• Herzschrittmacher-/ Defibrillatorkontrolle
• Lungenfunktionsdiagnostik/ Ergospirometrie
• Herz-Ultraschalluntersuchung
• Cardio-MRT
• Cardio-CT
• Laboranalysen
– Schulungen/Weitere Leistungen
n Angiologie
– Untersuchungen:
• Gespräch und körperliche Untersuchung
• Gehstreckenbestimmung
• Gefäß-Ultraschalluntersuchung
n Sportmedizin
n Vorsorgeuntersuchungen
HIER FINDEN SIE UNS:
Kardiologische Gemeinschaftspraxis Aschaffenburg
Dr. med. Andreas Görz
Priv.-Doz. Dr. med. Werner Peters Fachärzte für Innere Medizin und Kardiologie Hypertensiologie DHL® Sportmedizin
Stadtpalais | Elisenstraße 32 Eingang A 63739 ASCHAFFENBURG
Telefon 0 60 21/3 86 72-0
Telefax 0 60 21/3 86 72 25

Neuroplastizität ist die Fähigkeit des Gehirns, sich selbst zu reorganisieren, indem es neue neuronale Verbindungen bildet. In der Physiotherapie kann man diese Fähigkeit nutzen, um Gehirn und Körper durch die richtige Therapie effektiv neu zu trainieren.
Im Durchschnitt verwendet das Gehirn über 100 Billionen neuronaler Verbindungen, um Informationen zu senden und abzurufen. Ist ein Teil dieser Verbindungen durch Verletzungen wie zum Beispiel einen Schlaganfall geschädigt, kann man durch einen als Neuroplastizität bezeichneten Prozess tatsächlich neue Wege schaffen.
Der Begriff Neuroplastizität beschreibt den Umbau neuronaler Strukturen in Abhängigkeit von ihrer Aktivität. Die neuronale Plastizität kann einzelne Nervenzellen oder ganze Hirnareale betreffen. Neuroplastizität macht das Gehirn widerstandsfähig. Sie ermöglicht es, sich von Schlaganfällen, Verletzungen und angeborenen Schädigungen zu erholen. Sie dient dazu, die Funktionen des Nervensystems zu erhalten, sich an die Bedürfnisse anzupassen und zu erweitern.
In der Physiotherapie wird das Prinzip der Neuroplastizität genutzt, um das zentrale Nervensystem gezielt zu stimulieren und so die Wiederherstellung von Funktionen nach neurologischen Schäden zu fördern. Besonders relevant ist dies in der Rehabilitation nach Schlaganfällen, Hirnverletzungen, Rückenmarksverletzungen und neurodegenerativen Erkrankungen wie Parkinson oder Multipler Sklerose. Obwohl Schäden nicht komplett rückgängig gemacht werden können, können bestimmte Hirnfunktionen durch die Neuroplastizität in neue, gesunde Gehirnbereiche verlegt werden. Physiotherapeuten können beispielsweise Schlaganfallpatienten bei der Durchführung von physiotherapeutischen Übungen zur Verbesserung der Kraft und Beweglichkeit helfen. Diese Übungen werden wiederholt
durchgeführt, um die Neuroplastizität zu stimulieren und neues Hirngewebe zur Kontrolle von Bewegungen zu rekrutieren. Diese Neuvernetzung gleicht dann die Schäden infolge des Schlaganfalls aus. Kommt es zum Beispiel nach einem Schlaganfall vor, dass die Finger nicht mehr willentlich angesteuert werden können, kann regelmäßiges, gezieltes Bewegen und Trainieren der Finger dazu führen, dass sich die zuständigen Hirnareale neu vernetzen. Es entstehen neue Nervenbahnen, die das Ansteuern der Finger wieder möglich machen.
In der Physiotherapie zeigt sich immer wieder, dass schon kleinste Anpassungen und Mikrobewegungen bedeutende Effekte haben können. Dies liegt daran, dass unser Gehirn und unser Nervensystem auf kontinuierliche, bewusste Bewegungen reagieren und sich entsprechend anpassen. Im besten Fall entsteht etwas wie eine neue Landkarte, eine neue Routine, die die alten, defekten Funktionen übernimmt.
Das Gehirn lernt, was wiederholt wird –auch schädliche Verhaltensmuster. Bei einer Verletzung oder einer chronischen Erkrankung können sich maladaptive (schädliche) neuronale Muster entwickeln, die den Schmerz verstärken oder verlängern. Das Gehirn „lernt“ sozusagen den Schmerz, und auch wenn die ursprüngliche Ursache des Schmerzes verschwunden ist, sendet das Gehirn diese Schmerzsignale weiterhin. Durch gezielte Übungen und Therapien kann man das Gehirn trainieren, neue, gesündere neuronale Muster zu entwickeln. Man bringt also dem Gehirn bei, eine schlechte Gewohnheit abzulegen und durch eine gute zu ersetzen.
Das ist übrigens auch noch lange nach einem traumatischen Ereignis möglich. Denn die Flexibilität des Gehirns ermöglicht es auch noch Jahre später, an kognitiven und motorischen Verbesserungen zu arbeiten. Die Therapie muss allerdings individualisiert und auf den spezifischen Zustand und die Bedürfnisse jedes Patienten abgestimmt sein, um optimale Ergebnisse zu erzielen.



Krankengymnastik kommt zum Einsatz bei Störungen bzw. Beschwerden des Bewegungsapparates, des Kreislaufs und der Atmung. Das Ziel ist die Wiederherstellung, Erhaltung oder Förderung der Gesundheit.
Therapeutische Anwendungen:
n Manuelle Therapie
n Bobath-Therapie
n Krankengymnastik
n Krankengymnastik am Gerät
n Manuelle Lymphdrainagen
n Klassische Massagen
n Schlingentisch
n Moorpackungen mit fossilem Mineralschlamm
Alle Anwendungen bieten wir Ihnen auch als Hausbesuche an!

In unserem Fitness- und Gesundheitsstudio können Sie unter individueller Anleitung hochqualifizierter Therapeuten an Chipkarten gesteuerten FitnessGeräten, Kardiogeräten, Seilzügen und Laufbändern trainieren.
Fitness- und Muskelaufbautraining:
n Aufbautraining
n Verbesserung der Kondition n Galileo® Vibrationsplatte
n Sturzprophylaxe
Öffnungszeiten unserer Praxis:
montags bis freitags von 8.00 bis 20.00 Uhr

Seit 44 Jahren sind mein Team und ich Ihre Partner für Physiotherapie in Aschaffenburg. Wir bieten Ihnen ein weitgefächertes Angebot an hochwertigen, qualifizierten Leistungen rund um Gesundheit und Wohlbefinden.
Sie möchten sich verwöhnen lassen und dabei Ihre Gesundheit unterstützen?
Sie möchten den Anforderungen des Alltags mit einem Lächeln begegnen? Sie möchten entspannen, abschalten, durchatmen und sich einfach wohlfühlen?
Unser Wohlfühl-Angebot:
n Kosmetik n Fußpflege n Handpflege n professionelle Ganzkörpermassagen n Kräuterstempelmassage n Lymphdrainagen
n Fußreflexzonenmassage
n Enthaarungen mit Warmwachs
Gutscheine für jede Gelegenheit!



HIER FINDEN SIE UNS:
Praxis für ganzheitliche Gesundheitspflege
Christine Schwarz
Elisenpalais | Elisenstraße 28 63739 ASCHAFFENBURG
Telefon 0 60 21/1 21 84
Telefax 0 60 21/45 71 71
www.krankengymnastik-schwarz.de
Schmerz ist mehr als nur ein unangenehmes Gefühl. Er ist eine komplexe Erfahrung, die uns als Frühwarnsystem an unsere Zerbrechlichkeit erinnert. Über Schmerzempfindung, Schmerzreize und was sie beeinflusst.

Schmerzen sind ein Frühwarnsignal vor Gefahren für unsere Gesundheit. Ohne Schmerzwarnung wäre eine Verletzungsgefahr schon bei der Verrichtung alltäglicher Kleinigkeiten gegeben. Verletzungen, Druck, Hitze, Kälte oder auch Prozesse, die sich im Körperinneren abspielen (zum Beispiel Entzündungen), lösen den Schmerz aus. Dass wir ihn überhaupt wahrnehmen können, liegt an spezialisierten Rezeptoren. Diese Nozizeptoren kommen in fast allen Körpergeweben vor: in Knochen, Sehnen, Muskeln, Organen und besonders zahlreich in der Haut. Sie wandeln den Schmerz auslösenden Reiz in ein Signal um, das von Nervensystem und Rückenmark weiter zum Gehirn geleitet wird.
Heute weiß man: Es gibt kein spezifisches Schmerzzentrum im Gehirn, vielmehr entwickelt ein ganzes Netzwerk
das Schmerzempfinden. Es gibt bei der Entstehung des Schmerzempfindens keine klare Reihenfolge – wie zum Beispiel: Wir verbrennen uns die Hand, der Körper schickt über die Nervenzellen und Botenstoffe das Warnsignal an das Gehirn und wir reagieren mit unserem angeborenen Reflex und ziehen die Hand schnell weg. Wahrnehmung, Handlungsimpuls und Energiebereitstellung entstehen vielmehr gleichzeitig und nicht wie erwartet nacheinander im Gehirn.
Dennoch kann es sein, dass der Schmerz von einem Menschen stark, vom anderen weniger, vom dritten gar nicht wahrgenommen wird. Gedanken, Gefühle und Faktoren wie Aufmerksamkeit und Stress beeinflussen das Empfinden von Schmerz mindestens ebenso stark wie der objektive Schmerzreiz, also die Information über die Verletzung, die über die
schmerzspezifischen Rezeptoren aufgenommen wird. So erklärt es sich auch, dass Fußballspieler unmittelbar nach einem harten Foul weiterspielen, oder Menschen in Lebensgefahr oft keinen Schmerz empfinden.
Der menschliche Körper produziert natürliche Schmerzmittel. Körpereigene Botenstoffe wie die Endorphine können das Schmerzempfinden positiv beeinflussen. Und nicht nur Gebärende erleben, wie Schmerzen verschwinden, weil der Körper Glückshormone ausschüttet bei der Geburt des Babys, auch Sportler erleben das beim Ausdauertraining oder während eines Marathons. Zudem spielt die Psyche eine große Rolle. Wird sie mit den richtigen Mitteln wie etwa als angenehm empfundener Musik oder autogenem Training abgelenkt, relativiert und verändert sich das Schmerzempfinden.
Es gibt Patienten, die unempfindlicher gegen Schmerzen zu sein scheinen, etwa Patienten mit Borderline-Syndrom. Bei Stress verletzen sie sich selbst, um sich zu „spüren“. Forschungen zeigen, dass die Schmerzweiterleitung bei diesen Patienten normal funktioniert, aber das Zentralnervensystem offenbar in der Lage ist, den Schmerzreiz zu unterdrücken.
Emotionale Schmerzen, wie der Verlust eines geliebten Menschen oder das Gefühl der Ablehnung, aktivieren ähnliche Hirnregionen wie körperliche Schmerzen Diese Überlappung zeigt, wie eng körperliches und emotionales Leid miteinander verbunden sind.
Trotz der unterschiedlichen Eindrücke, mit denen wir psychische und physische Verletzungen verbinden, sind ihre Folgen für den Körper mitunter erstaunlich ähnlich. So nehmen wir etwa psychischen Schmerz oft sogar als belastender wahr, wie Forscher der University Buffalo (USA) feststellten. Gefragt nach dem schlimmsten Erlebnis ihres Lebens nannten drei von vier Befragten den Verlust eines geliebten Menschen. Eine schwere Verletzung oder Krankheit wurde seltener genannt als zum Beispiel ein beruflicher Rückschlag.
„Für ein besonders diskretes Gespräch steht Ihnen unser separater Beratungsraum zur Verfügung! Sprechen Sie uns vertrauensvoll an!“



Unser Leistungsspektrum – Ihre Vorteile:
n Kundenfreundliche Öffnungszeiten
n Schließfachservice für Abholungen außerhalb der Öffnungszeiten
n Botendienst
n Mehrsprachiges Fachpersonal (Englisch, Französisch, Italienisch, Türkisch und Russisch)
n Monatlich wechselnde Sonderangebote
n Gesundheits-Checks
n Blutdruckmessungen
n Fernreise- und Impfberatung
n Stadelmann-Produkte
n Ernährungsberatung
n Verleih von Medela-Milchpumpen und Babywaagen
n Anpassen von Kompressionsstrümpfen
n Kundenkarte mit vielen Vorteilen
n Erstellung von Jahresrechnungen zur Vorlage bei Krankenkasse und Finanzamt
am Ausgang Richtung Stadtmitte
HIER FINDEN SIE UNS:
Dr. Tobias Craan e.K. Ludwigstraße 2 (am Hauptbahnhof) 63739 Aschaffenburg
Telefon: (0 60 21) 39 89 0
kostenloser Service 0800- 39 89 20 0
Telefax: (0 60 21) 39 89 15
email: info@bahnhof-apotheke.biz
www.bahnhof-apotheke.biz
ÖFFNUNGSZEITEN:
Montag bis Freitag von 08:00 bis 19:00 Uhr
Samstag von 08:30 bis 14:00 Uhr
… oder nutzen Sie unsere Abholfächer und unseren Lieferservice


Das menschliche Verdauungssystem, insbesondere der MagenDarm-Trakt, steht in enger Verbindung mit dem Gehirn und dem Nervensystem. Diese bidirektionale Beziehung wird oft als „Bauch-Hirn-Achse“ bezeichnet. Sie ermöglicht eine ständige Kommunikation zwischen dem zentralen Nervensystem (ZNS) und dem enterischen Nervensystem (ENS), das oft als „zweites Gehirn“ bezeichnet wird.
Das ENS besteht aus einem komplexen Netzwerk von Neuronen, die die Verdauungsprozesse autonom steuern. Es reguliert Bewegungen im Darm, die Sekretion von Verdauungssäften und die Durchblutung der Darmwände. Gleichzeitig empfängt das ENS Signale vom Gehirn und sendet seinerseits Informationen zurück. Diese Kommunikation wird durch den Vagusnerv und andere neuronale Verbindungen ermöglicht.
Die Bauch-Hirn-Achse spielt eine zentrale Rolle bei der Regulierung von Emotionen und dem allgemeinen Wohlbefinden. Stress und psychische Belastungen können sich direkt auf den Magen-Darm-Trakt auswirken und Symptome wie Reizdarmsyndrom, Magenschmerzen oder Verdauungsstörungen hervorrufen. Umgekehrt können Probleme im Verdauungssystem, wie eine gestörte Darmflora, das Gehirn beeinflussen und zu Angstzuständen oder Depressionen beitragen.
Ein weiteres wichtiges Element in dieser Beziehung sind Neurotransmitter, wie Serotonin, von dem etwa 90 % im Darm produziert wird. Serotonin ist entscheidend für die Regulierung von Stimmung, Schlaf und Verdauung. Eine gestörte Produktion oder Regulation von Serotonin im Darm kann daher nicht nur zu physischen Beschwerden, sondern auch zu psychischen Problemen führen.
Die komplexe Interaktion zwischen Gehirn, Nerven und Magen-Darm-Trakt unterstreicht die Bedeutung eines ganzheitlichen Ansatzes für Gesundheit und Wohlbefinden. Ein ausgewogenes Leben mit gesunder Ernährung, Stressbewältigung und ausreichender Bewegung kann helfen, sowohl das Verdauungssystem als auch die psychische Gesundheit im Gleichgewicht zu halten.

IHR TEAM DER GASTROENTEROLOGISCHEN GEMEINSCHAFTSPRAXIS ASCHAFFENBURG
Prof. Dr. med. W. Fischbach, Priv.-Doz. Dr. med. R. Melcher, Dr. med. C. Noé, Priv.-Doz. Dr. med. H. Lührs, Dr. med. K. Metz, Dr. med. O. Tabarelli

Gesundheit und Wohlbefinden unserer Patienten stehen an erster Stelle. Und wir setzen uns für dieses Ziel ein. Mit unserem breiten Spektrum medizinischer Leistungen und einem hochqualifizierten Team an Ärzten sind wir die Experten für gastroenterologische Erkrankungen. Nicht nur zentral im Herzen Aschaffenburgs, sondern vor allem immer nah am Patienten.
UNSERE LEISTUNGEN IN DER ÜBERSICHT:
• Darmspiegelung zur Krebsvorsorge Magen- und Darmspiegelung
• Anlage von Ernährungssonden
• Enddarmuntersuchung
• Hämorrhoidentherapie
• Ultraschalluntersuchungen der Bauchorgane, der Schilddrüse, der Kopfspeicheldrüsen, der Blutgefäße sowie der Lymphknoten
Atemgastests (Laktose, Fruktose u.a.)
• Laboruntersuchungen
• Chemotherapie / Immuntherapie
• Krebsvorsorge / Tumornachsorge
• Therapie von M. Crohn, Colitis ulcerosa
• Behandlung von Lebererkrankungen
• internistische Durchuntersuchungen Gutachten
GASTROENTEROLOGISCHE GEMEINSCHAFTSPRAXIS ASCHAFFENBURG
Stadtpalais „Alte Post“ am Hauptbahnhof • Elisenstr. 32 • Eingang B • 63739 Aschaffenburg
Telefon: 0 60 21 | 44 47 8 - 0 • Telefax: 0 60 21 | 44 47 8 - 50 • praxis@gastro-ab.de
Sprechzeiten: Montag – Freitag, 08.30 Uhr – 12.30 Uhr und 13.30 Uhr – 16.00 Uhr
WWW.GASTRO-AB.DE
Schäden am Nervus Opticus (Sehnerv) können zu drastischen Folgen für unser Leben und unser allgemeines Wohlbefinden führen, denn der Sehnerv ist ausgesprochen wichtig für unser Sehvermögen.

Das Auge und das Gehirn sind komplizierte, komplex strukturierte Organe. Ihre Funktion im Sehprozess kann nicht korrekt ausgeführt werden, wenn sie nicht richtig miteinander verbunden sind. Aus diesem Grund spielt der Sehnerv, der als Teil des Gehirns eine Brückenfunktion erfüllt, eine entscheidende Rolle bei der Art und Weise, wie wir die Welt sehen.
Der physiologische Prozess des Sehens ist sehr komplex. Grundsätzlich löst das Auftreffen eines Photons (Lichtteilchens) eine chemische und synaptische Kaskade aus – und das daraus entstehende Signal wird dann via Sehnerv an das Gehirn weitergeleitet. Dies geschieht über mehrere „Umschaltstationen“, bis die Information schließlich in unserer Sehrinde –dem hinteren, unteren Teil des Gehirns –ankommt. Die zwischengeschalteten Verzweigungen und Umschaltstellen dienen unter anderem der Koordination der Augenbewegungen und der Reflexe (zum Beispiel Pupillenreflex). Der Sehnerv selbst besteht aus vielen einzelnen Nervenfasern. In seinem langen Verlauf können an unterschiedlichen Stellen Veränderungen und Schäden auftreten und die Sehfähigkeit damit einschränken.
Der grüne Star ist ein sehr häufiges Krankheitsbild. Ein erhöhter Augeninnendruck führt durch die Komprimierung des Sehnervs zu Gewebeschäden. Unbehandelt führt das Glaukom zu Gesichtfeldeinschränkungen und zur Erblindung, ohne dass man Schmerzen hat oder anfänglich etwas bemerkt. Etwa 20 Prozent der Erblindungen sind auf den grünen Star zurück zu führen. Bei einem akuten GlaukomAnfall kann es innerhalb kurzer Zeit zu unwiederbringlichen Schäden am Sehnerv kommen. Wird ein Glaukom dagegen rechtzeitig erkannt, können weitere Schäden aufgehalten werden.
Bei einem Schlaganfall kann es zu typischen Gesichtsfeldausfällen kommen, die sehr hinweisend sind auf das minderversorgte Hirnareal, z B. Halbseitenausfall genannt „Hemianopsie“. Diese können beide Augen betreffen, quadrantenförmig oder halbseitig sein.
Auch Störungen der Durchblutung des Sehnervs und damit eine ungenügende Versorgung mit Sauerstoff können zu Gewebeschäden führen. So führt ein Blutgefäss-Verschluss im Bereich der Sehnervpapille (sog. Anteriore ischämische
Optikusneuropathie) zu einem Infarkt des Sehnervs. Ursache können arteriosklerotisch veränderte Blutgefäße sein (Verkalkungen) oder Entzündungen von Blutgefäßen (Arteriitis temporalis) sein. Letzteres betrifft vor allem ältere Menschen und ist ein augenärztlicher Notfall (Erblindungsgefahr!).
Manchmal – jedoch sehr selten – können auch meist gutartige Tumore zu einem sich langsam aufbauenden Druck und Einschränkungen des Gesichtsfelds führen.
Bemerkt man Einschränkungen des Gesichtsfelds, einen merklichen Druck im Auge oder andere Symptome, ist es wichtig, schnell zu handeln und den Augenarzt aufzusuchen. Ab dem 40. Lebensjahr wird von allen europäischen und internationalen augenärztlichen Fachgesellschaften eine regelmäßige Druckmessung mit Beurteilung des Sehnervenkopfes durch Augenärzte empfohlen. Ab diesem Zeitpunkt steigt die Wahrscheinlichkeit für Augenerkrankungen. Um Krankheiten des Sehnervs längerfristig vorzubeugen bzw. deren Verlauf günstig zu beeinflussen, sind regelmäßige Vorsorgeuntersuchungen beim Augenarzt entscheidend.

Daher bieten wir Ihnen in der ReVis Augenklinik das gesamte Spektrum der konservativen und operativen Augenheilkunde an, von Vorsorgeuntersuchungen über die Therapie von Augenerkrankungen bis hin zur modernen Laserkorrektur.
Erfahren Sie mehr über die ReVis Augenklinik auf:
www.revis.de
Die BAG Radiologie und Nuklearmedizin setzt neue Maßstäbe in der radiologischen Diagnostik durch den Einsatz modernster Technologien. Wir freuen uns, die Einführung einer KI-basierten Bildanalyse im Rahmen der Magnetresonanztomographie (MRT) des Kopfes bekannt zu geben. Diese innovative Methode ermöglicht eine hochpräzise und qualitätsgesicherte Diagnostik für neurologische Fragestellungen, insbesondere

Neue Maßstäbe in der Diagnose neurologischer Erkrankungen
Neurologische Erkrankungen wie Demenz und Multiple Sklerose sind komplexe und vielschichtige Krankheitsbilder, die eine präzise Diagnostik erfordern. Herkömmliche diagnostische Verfahren stoßen hier oft an ihre Grenzen, besonders wenn es darum geht, frühe Krankheitsstadien zu erkennen oder den Verlauf der Erkrankung genau zu überwachen. Genau hier setzt unsere neue KI-gestützte Bildanalyse an.
Die KI-Technologie unterstützt unsere Radiologen bei der Auswertung der MRT-
Bilder, indem sie kritische Befundungsparameter computergestützt quantifiziert und analysiert. Dies führt nicht nur zu einer erheblichen Zeitersparnis, sondern ermöglicht auch eine genauere und standardisierte Befundung, die den hohen Qualitätsansprüchen unserer Praxis entspricht.
Abklärung von Demenzund MS-Verdacht
Bei Verdacht auf Demenz oder Multiple Sklerose kommt es auf eine schnelle und präzise Diagnose an. Unsere KI-basierte Bildanalyse ermöglicht eine detaillierte
Untersuchung des Gehirns, bei der insbesondere folgende Befundungsparameter computergestützt quantifiziert und analysiert werden:
n Läsionsquantifizierung und -lokalisierung: Die Technologie identifiziert und lokalisiert Läsionen im Gehirn mit hoher Präzision. Dies ist besonders bei der Diagnose von Multiple Sklerose von großer Bedeutung, da diese Erkrankung durch multiple Läsionen im Zentralnervensystem gekennzeichnet ist.
n Krankheitsbedingter Hirnvolumenverlust (Atrophie): Die Analyse des Hirnvolumens ist ein wichtiger Biomarker für neurodegenerative Erkrankungen wie Demenz und MS. Ein krankheitsbedingter Volumenverlust des Gehirns kann auf eine fortschreitende Erkrankung hinweisen und ist ein kritischer Parameter für die Beurteilung des Krankheitsverlaufs.
Fortschrittliche Technologien und klinische Validierung
Die Technologien zur computergestützten Quantifizierung und Bildanalyse, die in unserer Praxis zum Einsatz kommen, wurden in umfangreichen klinischen Studien validiert. Diese Studien, die in hochrangigen wissenschaftlich-klinischen Fachzeitschriften veröffentlicht wurden, bestätigen die Zuverlässigkeit und Genauigkeit unserer diagnostischen Methoden. Unsere Patienten profitieren von einer Diagnostik, die auf dem neuesten Stand der medizinischen Forschung basiert und höchste Qualitätsstandards erfüllt.
Enge Kooperation mit behandelnden Ärzten und Integration klinischer Informationen
Ein wesentlicher Bestandteil unserer fortschrittlichen Diagnostik ist die enge Kooperation mit den zuweisenden Ärzten.




Die Abbildung zeigt die automatische Volumenbestimmung im Temporallappen.
Durch präzise und detaillierte Angaben zur Anamnese, die elektronisch übermittelt werden, können wir sicherstellen, dass alle relevanten klinischen Informationen in die Befundung einfließen. Zukünftig wird es für Patienten auch die Möglichkeit geben, ihre aktuellen Beschwerden online anzugeben, was eine noch genauere und patientenorientierte Diagnostik ermöglicht. Diese klinischen Angaben werden nahtlos mit den radiologischen Befunden abgeglichen, um ein umfassendes und fundiertes Gesamtbild zu erstellen, das die bestmögliche Basis für die weitere Behandlung darstellt.
Ein wichtiger Schritt
Mit der Einführung dieser innovativen Diagnostiktechnologie macht die BAG Radiologie und Nuklearmedizin einen wichtigen Schritt in Richtung einer noch präziseren und patientenorientierten Versorgung. Unser Ziel ist es, den Patienten
eine bestmögliche Diagnostik zu bieten, die nicht nur schnell und präzise, sondern auch sicher und verlässlich ist.
Durch den Einsatz der KI-basierten Bildanalyse bieten wir unseren Patienten und Zuweisern eine Diagnostik auf höchstem Niveau, die sowohl in der Früherkennung als auch in der Verlaufsbeurteilung neurologischer Erkrankungen eine wertvolle Ergänzung der bildgebenden Diagnostik darstellt.
Die Kosten für die zusätzliche KI-Analyse werden in der Regel von der privaten Krankenversicherung übernommen. Gesetzliche Versicherte müssten die KI-Analyse als individuelle Gesundheitsleistung selbst tragen
Für weitere Informationen oder um einen Termin zu vereinbaren, besuchen Sie bitte unsere Website oder kontaktieren Sie uns direkt. Wir freuen uns darauf, Ihnen modernste radiologische Diagnostik bieten zu können.
HIER FINDEN
SIE UNS:
BAG Radiologie & Nuklearmedizin
Prof. Dr. med. Stephan Schmitz
Dr. med. Stefan Zimmermann
Hr. Wladimir Plastowez
Dr. med. Alexander Sauer & Kollegen
Frohsinnstraße 20 63739 ASCHAFFENBURG
Telefon 0 60 21/15 07 90
Spezialdiagnostik 0 60 21/1 50 79 99
Ausgelagerter Praxisteil Klinikum
Aschaffenburg-Alzenau Am Schlosshof 1 63755 ALZENAU-WASSERLOS
Filialpraxis Seligenstadt Mittelbeune 3
63500 SELIGENSTADT www.radiologie-ab.de
mich?
Sie werden bei uns von einem Team von sehr erfahrenen Ärzten untersucht.




Zahnschmerzen sind so ziemlich das Unangenehmste was einem passieren kann. Zögert man die Behandlung hinaus, kann das gravierende Folgen für die Gesundheit haben. Um so wichtiger ist es, sie als Signal ernst zu nehmen. Zu identifizieren, woher der Zahnschmerz konkret kommt, damit tut sich unser Gehirn dennoch schwer.

Unsere Zähne erfüllen verschiedene Aufgaben bei der Nahrungsaufnahme und haben daher auch unterschiedliche Formen Dennoch haben alle Zähne den gleichen Grundbauplan: Egal, ob Schneidezahn, Eckzahn oder Backenzahn, sie bestehen aus Zahnkrone, Zahnhals und Zahnwurzel. Der Zahnhalteapparat hält den Zahn im Kiefer fest. Im Wurzelbereich wird das Zahnbein vom Zahnzement bedeckt, der die Zahnwurzel im Kiefer „einmauert“. Das, was man bei einem gesunden Ge-
biss äußerlich von einem Zahn sieht, ist lediglich der sogenannte Zahnschmelz, der wie eine Glasur das innen liegende Zahnbein (Dentin) bedeckt. Der Zahnschmelz ist zwar die härteste Substanz des menschlichen Körpers, aber nicht unangreifbar: Bei Zahnerkrankungen wie Karies oder Parodontitis wird die natürliche Barriere zerstört, so dass Reizstoffe ungehindert in das Innere des Zahns gelangen – Zahnschmerzen entstehen. Druck, Verletzungen oder chemische Reaktionen
kommen hierbei als häufige Reizformen in Frage, auch wenn eine andere Erkrankung die Ursache ist. Gründe für Zahnschmerzen gibt es viele: Karieseinbruch, Trauma, Unfall, Schlag, Stoß, Bruxismus (Zähneknirschen). Gleichzeitig muss eine Erkrankung bzw. Schädigung des Zahnes nicht der Ursprung von Zahnschmerzen sein. Denn auch Entzündungen des Zahnfleisches bzw. des Zahnhalteapparates (z B. des Kieferknochens), ein Schub eines Weisheitszahnes oder akute Erkrankungen von ganz anderen Körperregionen können Zahnschmerzen auslösen.
Die Nervenfasern, die das Zahnmark zusammen mit Blutgefäßen durchziehen, reagieren schon auf kleinste Reize sehr empfindlich und melden den Schmerz sofort an das Gehirn. So gut das Gehirn aber auch beim Erkennen von Zahnschmerz ist – ganz genau zu beurteilen, von welchem Zahn der Schmerz eigentlich kommt, ist nicht gerade seine Stärke. Denn das Gehirn lernt, wie sich Berührungen und Schmerzen an verschiedenen Körperteilen anfühlen, um eine genaue „Schmerzlandkarte“ entwerfen zu können, die diese Teile jeweils repräsentiert. Das ist bei Zähnen seltener der Fall als bei Armen oder Beinen beispielsweise. Wissenschaftler der Universität Erlangen konnten nachweisen, dass die Aktivierung im Gehirn auffallend ähnlich ist, egal ob es sich um einen schmerzenden Zahn im Ober- oder im Unterkiefer handelt. Daher kommt es auch, dass wir beim Zahnarzt manchmal sehr schlecht benennen können, welcher Zahn genau der Schmerzverursacher ist.
Zahnschmerzen gehören zu den unangenehmsten körperlichen Schmerzen. Schmerzmittel helfen nur kurzfristig. Anhaltende Linderung der Beschwerden verschafft allein die Behebung der Ursache. Wer hier nicht schnell handelt, riskiert, dass eingedrungene Bakterien unter Umständen über die Zähne in die Blutbahn gelangen und sogar bis zu einer Herzklappenentzündung führen. Bei chronischen Entzündungsherden steigt zudem langfristig das Risiko für Gefäßerkrankungen. All das sind gute Gründe für jährliche Vorsorgeuntersuchungen – zu diesen bewertet der Zahnarzt den Zustand des Gebisses und erkennt Karies oder Zahnfleischprobleme frühzeitig. Kommt noch eine professionelle Zahnreinigung einmal, besser noch zwei Mal jährlich und eine gesunde Ernährung dazu, sind die besten Bedingungen für schmerzfreie Zähne geschaffen.
Nach dem FOCUS-RANKING 2024 zum 16. Mal in Folge unter den besten Implantologen Deutschlands.*

FOCUS-GESUNDHEIT 04/2024 IN KOOPERATION MIT

Lernen, Bewegung und Ernährung verändern die Nervenverbindungen im Gehirn. Das bedeutet: Man kann selbst viel dazu beitragen, bis ins Alter geistig fit zu bleiben. Aber auch Menschen, die an einer schweren Kopfverletzung oder an einer neurologischen Erkrankung leiden, können ihre kognitiven und motorischen Leistungen verbessern. Gleis-Eins sprach mit Dr. phil. Ingeborg Maser, Neurolinguistin/Klinische Linguistin von der Akademischen Praxis für Sprachtherapie.
Was versteht man darunter, wenn man sagt, das Gehirn sei „plastisch“?
Unter der neuronalen Plastizität versteht man die Fähigkeit des menschlichen Gehirns, die strukturelle und funktionelle Organisation (d h. die Eigenschaften von Synapsen, Nervenzellen oder ganze Hirnareale/Netzwerke) veränderten Bedingungen anpassen zu können. Dies ist oft im Laufe der alterungsbedingten Entwicklung des Menschen oder durch auftretende Störungen des zentralen Nervensystems, etwa nach einer neurologischen Erkrankung, notwendig. Aber auch bei tagtäglichen Funktionen des Gehirns, wie zum Beispiel der Gedächtnisbildung, müssen funktionelle Veränderungen vollzogen werden, die zum Erhalt und zur Verarbeitung des neuen Wissens beitragen. Die Plastizität des Gehirns ist damit eine grundlegende Voraussetzung für Lernen und das Erinnerungsvermögen.
Alterserscheinungen äußern sich auch im Gehirn – die Leistungsgeschwindigkeit nimmt ab – können wir dem aktiv entgegenwirken?
Unser Gehirn wie alle anderen Organe des Körpers weist Altersveränderungen auf, z B. Veränderung der Nervenzellen, der neuronalen Verknüpfung von Nervenzellen und der Verarbeitungsgeschwindigkeit. Hinzu kommt ein Nachlassen auch sensorischer Fähigkeiten, wie das Hören und Sehen. D h., wir alle werden beim Laufen, bei alltäglichen Verrichtungen, beim schnellen Reagieren und Merken etwas langsamer und schwerfälliger, haben ab und zu Wortfindungsschwierigkeiten, sehen und hören schlechter und ermüden vielleicht auch schneller. Studien konnten zeigen, dass sich die Risikofaktoren für das
Nachlassen geistiger Fähigkeiten je nach Lebensalter unterscheiden. In jungen Jahren ist vor allem eine gute Schulbildung wichtig. Im mittleren Alter sind es 5 Faktoren, die eine Rolle spielen: Hörverlust, Kopf-/Hirnverletzungen, Bluthochdruck, starker Alkoholkonsum, Übergewicht, Diabetes mellitus, körperliche Inaktivität. Im höheren Alter nehmen andere Faktoren an Bedeutung zu: Depressionen, soziale Isolation, körperliche Inaktivität, Luftverschmutzung. Auch chronischer Stress kann in allen Phasen des Lebens unsere geistigen Fähigkeiten negativ beeinflussen. Und natürlich haben auch unsere Gene einen Einfluss darauf, wie fit wir im Alter noch sind.
Andere Studien zeigen auch, dass wir ca. 40 % der geistigen Veränderungen durch eine Korrektur der Risikofaktoren hinauszögern (kompensieren) können.
Dazu gehören: für gutes Hören sorgen, körperliche Aktivität (regelmäßiges Ausdauer- und Krafttraining), die Behandlung aller kardiovaskulären Erkrankungen, sozial anregende Kontakte sowie die Ernährung mit viel Gemüse, Obst, Vollkornprodukten, gesunden Ölen, Fisch und Nüssen. D h., auch für ältere Menschen gilt: Lernen, Bewegung und Ernährung verändern die Nervenverbindungen im Gehirn. Bei Nichtgebrauch bestimmter Funktionen kommt es zu einer reduzierten bzw. negativen Plastizität und wir altern schneller. Aber auch Menschen, die an einer schweren Kopfverletzung oder an einer neurologischen Erkrankung leiden, können ihre kognitiven und motorischen Leistungen auf der Grundlage der Plastizität verbessern. D h., das Gehirn behält zeitlebens die Fähigkeit, sich selbst zu regenerieren und sich neu zu strukturieren. Das konnten inzwischen zahlreiche Studien zeigen. Für den Bereich der sprachlichen Erholung allerdings erst vor wenigen Jahren.
Bleibt es so – können wir also bis ins hohe Alter lernen?
Das ist eindeutig mit „Ja“ zu beantworten. Das Gehirn lernt immer. Und auch Menschen mit einer Hirnschädigung können lernen, ihre verlorenen Fähigkeiten wiederzuerlangen. Das Gehirn ist kurz nach einer Schädigung am empfänglichsten für plastische Veränderungen, d h. eine Rehabilitation oder Therapie sollte möglichst früh beginnen. Aber mit einer intensiven und spezifischen Therapie lassen sich auch noch nach Jahren Verbesserungen erreichen. Das bedeutet, dass Patienten auch eine Eigenverantwortung für Ihren Genesungsprozess übernehmen und manchmal über längere Zeit viel Geduld und Motivation aufbringen müssen.
Können wir unser Gehirn trainieren wie einen Muskel? Wenn ja, zu welcher Art des Trainings raten Sie uns?
Auch wenn man das Gehirn umgangssprachlich mit einem Muskel vergleicht, der trainiert werden muss, damit er nicht verkümmert, ist das Gehirn in Wahrheit kein Muskel. Es besteht nicht aus Muskelzellen, sondern aus Millionen von Neuronen, die durch Axone und Dendriten verbunden sind. Insbesondere unser Gedächtnis und unsere Konzentrationsund Aufmerksamkeitsleistungen sind für viele Aufgaben von zentraler Bedeutung und lassen sich gut trainieren. Dies kann man, indem man Routinen und Gewohnheiten einmal ändert, ein Buch liest oder sich länger mit einer Aufgabe intensiv beschäftigt und für Abwechslung sorgt. Es gibt aber inzwischen auch gute kognitive Trainingsprogramme, mit denen gesunde und erkrankte Menschen trainieren können. Wichtig ist hierbei allerdings, dass das Training spezifisch die Fähigkeiten trainiert, die man verbessern will, und dass das Training auch kontrolliert wird.
Sie waren an einer Studie beteiligt, mit der wissenschaftlich nachgewiesen wurde, dass eine intensive, spezifische Sprachtherapie auch bei chronischer Aphasie wirksam ist. Das heißt, auch Jahre nach einem Schlaganfall besteht noch Hoffnung?
Ja, das bedeutet es. Lange ging man in der Neurorehabilitation davon aus, dass sich die funktionelle Erholung der Sprache auf die ersten Monate nach einem Schlaganfall begrenzt (die sogenannte Phase der Spontanremission). Danach gab es nur vereinzelte Studien, die zeigen konnten, dass sich auch noch später bei hoher Therapieintensität (d h. mindestens 5 Stunden pro Woche Therapie) positive Effekte zeigen. Aber erst mit der multizentrischen randomisierten Studie FCET2EC, 2017 konnte gezeigt werden, dass sich nach einer 3-wöchigen Intensivtherapie die Sprach- und Kommunikationsleistungen nach einem Schlaganfall signifikant verbessern lassen und dass diese Verbesserungen auch 6 Monate nach der Therapie noch nachweisbar waren. Das war ein entscheidender Durchbruch für die Aphasieforschung und -behandlung.
Was bedeutet Ihnen die Arbeit mit aphasischen Menschen? Können Sie uns ein Beispiel geben, wie sich die Situation verbessern kann?
In meiner Tätigkeit als Neurolinguistin und Klinische Linguistin beschäftige ich mich mit mehreren Störungsbereichen bei Erwachsenen, aber auch mit unterschiedlichen Störungen bei Kindern und Jugendlichen.
Die Arbeit mit aphasischen Menschen nimmt dabei eine besondere Stellung ein. Als Neurolinguistin habe ich mich schon früh für die neurobiologischen Grundlagen der Sprache interessiert, d h., mich interessiert die Beziehung zwischen Gehirnstrukturen, neuronalen Netzwerken und der menschlichen Sprachfähigkeit, oder anders gesagt: Wie ist die Sprache im Gehirn strukturiert und wie funktionieren dabei die einzelnen Prozesse. Dieses Hintergrundwissen ist bei der Behandlung von Aphasien besonders wichtig. Sprachtherapie versucht, spezifische linguistische Leistungen zu verbessern, aber auch die Kommunikationsfähigkeit in alltagsnahen Situationen und somit die Teilhabe am sozialen Leben. Da bei Aphasie sprachliche Modalitäten (Verstehen, Produzieren, Lesen, Schreiben) immer in unterschiedlichem
Ausmaß betroffen sind, benötigen wir zuerst eine genaue Diagnostik der erhaltenen und gestörten Funktionen. Danach erarbeite ich gemeinsam mit den Patienten Therapieziele, die wir erreichen wollen. Während der unterschiedlichen Erholungsphasen arbeiten wir auch mit unterschiedlichen, möglichst evidenzbasierten Therapieansätzen. Bei vielen Patienten arbeite ich z B. störungsspezifisch und partizipationsorientiert, d h. ich versuche, spezifische Bereiche des sprachlichen Netzwerkes wieder aufzubauen, z B. durch den Aufbau von SPO-Strukturen (Subjekt-Prädikat-Objekt) und deren flexible Anwendung im Alltag. Dabei versuche ich während einer Therapiestunde, die sprachlichen Anforderungen zu steigern und am Ende immer noch einmal zu wiederholen, um das Gelernte zu stabilisieren. Das Ganze unterstütze ich z B. durch realistische situative Fotodarstellungen. Ich motiviere Patienten, dass sie ihre sprachlichen Fähigkeiten bewusst einsetzen und nicht vermeiden. Das kann man sehr gut auch in einer 2er, 3er oder 5er Gruppe durchführen. Motivation und Intensität sind hier besonders hoch. Patienten müssen sich zwar anstrengen, aber es macht ihnen meist viel Spaß und das ist die Voraussetzung für Lernen. Wichtig ist, dass man Patienten individuell und spezifisch behandelt. Es gibt keine fertigen Übungsblätter, die man bei allen aphasischen Patienten gleichermaßen einsetzen kann. Das benötigt viel Zeit für die Vorbereitung der Therapie. Die Freude der Patienten, wenn sie Fortschritte machen und besser sprechen können, belohnt einen aber dafür.
Dr. phil. Ingeborg Maser
Neurolinguistin, Klinische Linguistin dbs/dbl
– Geboren 1954 in Reutlingen.

– Studium und Promotion in Germanistik, Anglistik.
– Studium und Promotion in Neurolinguistik.
– Dissertation über Sprachstörungen bei Broca-Aphasie.
– Klinische Ausbildung (LIP) zur Klinischen Linguistin.
– 2 Jahre Auslandsaufenthalt in Großbritannien.
– 10 Jahre wissenschaftliche und therapeutische Tätigkeit an der Universität in Freiburg und der Neurologischen Klinik Bad Aibling (Schönklinik).
– Seit 2001 erste staatlich anerkannte Neurolinguistin und Klinische Linguistin; Seit 2003 Niederlassung in Aschaffenburg.
– Zusatzausbildungen: Dysphagietherapeutin, Stottertherapeutin, zertifizierte LSVT-Loud Therapeutin, zertifizierte Legasthenietherapeutin (dbs), Supervisorenausbildung.
– Mitglied in vielen Berufs- und Forschungsverbänden-
– Mitglied und Förderung verschiedener Selbsthilfegruppen
– Hobbys: Evolutionsbiologie, Neurowissenschaften, Literatur, Musik, Sport.
Ein Beitrag von Etienne Balmert, Rehafachberater Sanitätshaus hubrich medical

Egal, welche Sportart man ausübt, ob Du Laufen gehst, Basketball oder Fußball spielst oder beim Wintersport: Die Knie sind die am meisten beanspruchten Gelenke. Sie müssen enorme Belastungen aushalten. Durch plötzliche Richtungsänderung wird das Knie verdreht und dabei instabil. Man darf dann nicht zu lange warten, das gesunde Knie wird jetzt deutlich stärker beansprucht und meldet sich umgehend. So verhält sich das bei allen Gelenken. Stabile Bandagen reduzieren die Schmerzen, schützen gegen weitere äußere Schädigungen und stabilisieren das betroffene Körperteil. Statistisch gesehen reißt etwa alle 7 Minuten ein Kreuzband, die häufigste Bandverletzung.
Am besten gleich zum Arzt
Schmerzen und weitere Schädigungen sind hier vorprogrammiert. Nur der Arzt kann feststellen, wie schwer die Verletzung ist. Er entscheidet, ob eine Bandage oder Orthese sinnvoll ist. Dazu kann er eine Verordnung ausstellen. In unserem Sanitätshaus wird diese individuell auf Ihre Bedürfnisse angepasst, um effektiv wirken zu können. Grundlegend sollte man mit einer kurzen Zeit beginnen, um wunde Stellen oder Schonhaltungen zu vermeiden. Täglich wird dann die Anwendung ausgedehnt, bis Sie Ihre Orthese durch-


gehend am Körper belassen. Ausnahme: akute Verletzungen, bei denen das nicht möglich ist. Ihr Arzt entscheidet, wann und wie lange das Hilfsmittel getragen werden muss.
Die Kniegelenksarthrose ist eines der häufigsten Krankheitsbilder. Es handelt sich dabei um einen Verschleiß des Gelenkknorpels, bei dem einzelne Gelenkabschnitte oder das gesamte Kniegelenk betroffen sein können. Oft ist sie eine Folge von älteren Unfällen. Meniskusschäden, Kniegelenksinstabilitäten, weil die Bänder nicht mehr halten. Auch Vererbung und zu viele Pfunde können eine Rolle spielen. Bei Schmerzen in der Lendenwirbelsäule (Lumbalbereich), im Kreuz-Darmbein-Gelenk (Iliosakralbereich) oder bei Verletzungen der Bandscheiben kann durch das Tragen einer Lumbalorthese der Bauchraum effektiv abgestützt und gleichzeitig die Wirbelsäule entlastet werden.

Wie löse ich das Rezept ein?
Nach den Vorschriften der Krankenkassen bietet unser Sanitätshaus ein Grundmodell ohne Zuzahlung, lediglich die Rezeptgebühr muss vom Patienten übernommen werden. Wenn eine Befreiung vorliegt ist es wichtig, dies bei der Versorgung sofort anzugeben, nach Abrechnung ist eine Rückzahlung nicht mehr möglich. Da es hier verschiedene Modelle und Qualitäten gibt und Ihnen eine andere Ausführung besser gefällt wird u.U. eine Aufzahlung fällig, die Sie selbst begleichen. Mit einer großen Auswahl können wir 80 % der Verordnungen sofort versorgen, spezielle Order sind in der Regel in zwei Arbeitstagen verfügbar.



Wann und wie lange trage ich dieses Teil?
Das medizinische Hilfsmittel ist dazu da, die Gelenke, Bänder und Knochen zu stabilisieren. So kann die Haltung und Bewegung sanft korrigiert werden und durch leichten Druck eine stützende Kompression erreicht werden. Sie müssen nach Anweisung des Arztes
Ein großes Sortiment an Stützbandagen bietet Ihr Sanitätshaus hubrich medical

getragen werden und können gerade auch nachts wirksam den Heilungsprozess unterstützen. Bandagen und Orthesen mit Kompression sollte man zur Schlafenszeit jedoch ablegen. Ansonsten gehört die Unterstützung auch in der Nacht ans Bein oder den Arm, denn im Schlaf können Sie die Lagerung der verunfallten oder erkrankten Gliedmaße nicht kontrollieren. Unwillkürliche Bewegungen könnten dann einen Rückschritt im Heilungsprozess bedeuten.
Und wenns schlimmer kommt …
Die Symptome einer Kreuzbandruptur sind Schmerzen und eine Schwellung des Kniegelenks. Beides bildet sich in der Regel nach wenigen Tagen oder Wochen zurück. Das Kniegelenk verbleibt instabil, was in vielen Fällen im Alltag zum Wegknicken des Kniegelenks bei geringen Belastungen führen kann. Dann drohen Folgeschäden wie eine Meniskus- oder Knorpelverletzung. Dies kann nur ein Arzt feststellen. Hier kann eine Knieorthese erforderlich werden.
Versorgung frühzeitig planen
Die Schiene sollte bereits vor der Operation angepasst und eingestellt werden, damit nach der OP sofort eine Ruhigstellung des Gelenks erfolgen kann. Manche Krankenkassen benötigen vorab eine Versorgungsanzeige bzw. einen Kostenvoranschlag. Deshalb sollten Sie dafür sorgen, dass die Schiene in unserem Sanitätshaus angepasst wird. Diese hochwertigen Schienen werden auch auf dem Mietsystem verordnet, zuerst für ca 16 Wochen, u.U. ist eine Folgeverordnung erforderlich. Das alles erledigen wir für Sie. Vertrauen Sie in unsere tägliche Erfahrung.




Nach der Verordnung durch den Arzt muss die Orthese durch uns angepasst werden, die Vorgaben des Arztes sollten genau einge halten werden. Damit das Knie richtig bewegt werden kann, wird das Strecken und Beugen durch zwei Winkel eingegrenzt. Ein Behandlungsplan schreibt die Dauer und die Erweiterung der Streckung vor. Dazu gehört auch das richtige Einstellen der Gurte. Die Schiene kann sehr einfach und schnell per Klicksystem geöffnet bzw. geschlossen werden, durch die Nummerierung der Gurte ergibt sich die Öffnungs- bzw. Schließreihenfolge. Der Winkel für die Flexions- bzw. Extensionsbegrenzung kann später durch uns unkompliziert gewechselt werden. Die flache Bauweise der Orthese gewährleistet hohen Tragekomfort und einen optimalen Sitz –auch unter der Kleidung.
Durch gezielte Übungen und auch mit Hilfe von Manueller Therapie und Krankengymnastik stabilisiert sich das Gelenk recht schnell, man darf nur nicht nachlassen, und an der Heilung selbst mitarbeiten. Auf der Schiene ist ein QR-Code aufgedruckt, der Sie zu gezielten Übungsanleitungen führt.









Fachgeschäft mit Tradition und Innovation: Versorgung bei hubrich medical seit 1952. hubrich medical ist seit über 70 Jahren eine feste Größe in Aschaffenburg. Rund 35 Mitarbeiter:innen machen sich täglich stark für die Gesundheitsversorgung „ihrer“ Patient:innen, für mehr Mobilität und Lebensqualität. Für die Anproben aller Bandagen stehen wir Ihnen zu den untenstehenden Ladenöffnungszeiten gerne zur Verfügung. Für das Vermessen von Flachstrickkompression oder Brustprothetik bitten wir um telefonische Terminvereinbarung, wir wollen für Ihre Beratung genügend Zeit einplanen. Gerne können sie uns Ihr Rezept vorab per WhatsApp, E-Mail oder Fax zusenden, wir setzen uns mit Ihnen umgehend in Verbindung.
Außerdem stehen Ihnen spezialisierte Fachangestellte auch für folgende Fachbereiche mit Beratung zur Verfügung: Badewannenlifter, Bandagen, Brustprothetik, Defibrillatoren, Homecare, Inkontinenzartikel, Kompressionsstrumpfversorgung, Patientenlifter, Pflegehilfsmittel, Rollatoren, Rollstühle, Orthesen, Schienen, Sauerstofftherapie, Therapierollstühle, Toilettenstühle, Treppensteiger, Treppenlifte.


Magnolienweg 8, 63741 AB-Nilkheim
:00 Uhr, Vermessungstermine jederzeit nach Vereinbarung – auch zuhause
APOTHEKE
07 (GLEIS EINS, S. 36/37)
Bahnhof-Apotheke
Dr. Tobias Craan e.K.
Ludwigstraße 2 (am Hauptbahnhof) 63739 ASCHAFFENBURG
Telefon 0 60 21/39 89 0
Telefax 0 60 21/39 89 15 info@bahnhof-apotheke.biz www.bahnhof-apotheke.biz
AUGENKLINIK
08 (GLEIS EINS, S. 40/41)
ReVis Augenklinik
Dr. med. Natascha Lipka
Dr. med. Thomas Kasper
Wan-Azlan Wan-Omar
Dr. med. Marieta Kalcheva
Dr. med. Andreas Fischle
Dr. med. Joachim Puchta
Stadtpalais | Elisenstraße 32 (Eingang A + B) 63739 ASCHAFFENBURG
Facharztpraxis
Ludwigstraße 2 63739 ASCHAFFENBURG
OP und Augen Laser Zentrum
Frohsinnstraße 29 63739 ASCHAFFENBURG
Facharztpraxis
„Notfallsprechstunde“ und „Sehschule (Kinder)“
Telefon 0 60 21/44 98 70
Bezirksstraße 30 63755 ALZENAU-WASSERLOS Facharztpraxis
Telefon 0 60 23/50 70 50
Erlenbacher Straße 16 63820 ELSENFELD
Facharztpraxis
Telefon 0 60 22/65 19 90
Breitendieler Straße 32 63897 MILTENBERG
OP Zentrum und Facharztpraxis
Telefon 0 93 71/65 03 00
Hauptstraße 10 74731 WALLDÜRN Facharztpraxis
Telefon 0 62 82/60 08 www.revis.de
FRAUENÄRZTE
10 (GLEIS EINS, S. 30/31)
Frauenärzte Gesundheitszentrum Aschaffenburg
Dr. med. Alexander Henze & Kolleginnen
Magnolienweg 12 63741 ASCHAFFENBURG
Telefon 0 60 21/4 44 77 30
Telefax 0 60 21/4 44 77 333 www.fagz.de
INNERE MEDIZIN
09 (GLEIS EINS, S. 20/21)
Fachinternisten Aschaffenburg Praxis
Dr. Kummer & Dr. Schirrmacher-Memmel
Dr. Inga-Nadine Kummer
Fachärztin für Innere Medizin, Diabetologie, Ernährungsmedzin und Notfallmedizin
Dr. Silke Schirrmacher-Memmel
Fachärztin für Innere Medizin, Hämatologie und internistische Onkologie, Palliativmedizin
Dr. Stefanie Schramm
Fachärztin für Innere Medizin
Manjola Lushi
Weiterbildungsässistentin Hämatologie/Onkologie
Dr. Ariane Brogsitter
Fachärztin für Innere Medizin, Hämatologie und int. Onkologie, Palliativmedizin
MUDr. Zuzana Miklasová
Fachärztin für Innere Medizin und Gastroenterologie
Elisenpalais | Elisenstraße 28 63739 ASCHAFFENBURG
Telefon 0 60 21/34 27-0
info@fi-ab.de www.fachinternisten-aschaffenburg.de
08 (GLEIS EINS, S. 38/39)
Gastroenterologische Gemeinschaftspraxis Aschaffenburg
Priv.-Doz. Dr. med. Hardi Lührs
Priv.-Doz. Dr. med. Ralph Melcher
Prof. Dr. med. Wolfgang Fischbach
Dr. med. Karl Metz
Dr. med. Caroline Noé
Dr. med. Oliver Tabarelli
Stadtpalais | Elisenstraße 32 (Eingang B) 63739 ASCHAFFENBURG
Telefon 0 60 21/44 47 80
Telefax 0 60 21/44 47 850 praxis@gastro-ab.de www.gastro-ab.de
KARDIOLOGIE + INNERE MEDIZIN
08 (GLEIS EINS, S. 32/33)
Kardiologische Gemeinschaftspraxis Aschaffenburg
Dr. med. Andreas Görz
Priv.-Doz. Dr. med. Werner Peters
Fachärzte für Innere Medizin und Kardiologie
Hypertensiologie DHL® Sportmedizin
Stadtpalais | Elisenstraße 32 (Eingang A) 63739 ASCHAFFENBURG
Telefon 0 60 21/3 86 72 -0 Telefax 0 60 21/3 86 72 25 www.kardiologie-ab.de
KIEFERORTHOPÄDIE
05 (GLEIS EINS, S. 22/23)
Fritz Watzlaw Kieferorthopädie
Fritz Watzlaw
Fachzahnarzt für Kieferorthopädie
Dr. Sarah Watzlaw
Angestellte Zahnärztin Ludwigstraße 15 63739 ASCHAFFENBURG
Telefon 0 60 21/44 07 00 www.fritzwatzlaw.de
Vorübergehende Adresse während unserer Praxis-Modernisierung: Frohsinnstraße 17 63739 ASCHAFFENBURG
NEUROLOGIE
08 (GLEIS EINS, S. 28/29)
Neuropraxis im Stadtpalais
Gemeinschaftspraxis für Neurologie, DMSG-Schwerpunktpraxis Multiple Sklerose
Dr. med. Jochen C. Ulzheimer
Facharzt für Neurologie, Botulinumtoxintherapie (DGN), Schwerpunkt Neuroimmunologie/ Multiple Sklerose
Priv.-Doz. Dr. med. Carsten Wessig Facharzt für Neurologie, Spezielle Neurologische Intensivmedizin, Verkehrsmedizin, Schwerpunkt Neuromuskuläre Erkrankungen
Dr. med. Jessica Herröder Fachärztin für Neurologie, Schwerpunkt neurodegenerative Erkrankungen/ Parkinson-Syndrome
Stadtpalais | Elisenstraße 32 (Eingang B) 63739 ASCHAFFENBURG
Telefon 0 60 21/44 98 60
Telefax 0 60 21/44 98 62 44 info@neuropraxis-ab.de
ORTHOPÄDIE UND SPORTMEDIZIN
06 (GLEIS EINS, S. 24/25)
Praxis für Orthopädie und Sportmedizin
Dr. Klaus Fecher
Facharzt für Orthopädie, Sportmedizin, Schwerpunkt Fußchirurgie
Gregor Böhler
Facharzt für Unfallchirurgie und Orthopädie
Konsiliarärzte in der Bergman Clinics, Hofgartenklinik, Aschaffenburg
Ludwigstraße 4
63739 ASCHAFFENBURG
Telefon 0 60 21/58 03 10 info@dr-fecher.de www.dr-fecher.de
AUGENOPTIK + HÖRAKUSTIK
04 (GLEIS EINS, S. 05)
SCHWIND SEHEN & HÖREN
63755 ALZENAU-WASSERLOS
Bezirksstraße 30
Telefon 0 60 23/9 18 97 32
63739 ASCHAFFENBURG
Frohsinnstraße 32
Telefon 0 60 21/44 87 90
63808 HAIBACH
Hauptstraße 5
Telefon 0 60 21/6 30 90
63768 HÖSBACH
Hauptstraße 7
Telefon 0 60 21/54 05 48
63801 KLEINOSTHEIM
Goethestraße 58 a
Telefon 0 60 27/65 44
63897 MILTENBERG
Hauptstraße 136
Telefon 0 93 71/76 50
Hörakustik-Filiale
63897 MILTENBERG
Hauptstraße 44
Telefon 0 93 71/94 96 61
63785 OBERNBURG
Römerstraße 57
Telefon 0 60 22/14 85
63500 SELIGENSTADT
Bahnhofstraße 6
Telefon 0 61 82/82 94 30
www.schwind-sehen-hoeren.de
PHYSIOTHERAPIE/FITNESS/ KOSMETIK & FUSSPFLEGE
09 (GLEIS EINS, S. 34/35)
Praxis für ganzheitliche Gesundheitspflege
Christine Schwarz
Elisenpalais | Elisenstraße 28 63739 ASCHAFFENBURG
Telefon 0 60 21/1 21 84
Telefax 0 60 21/45 71 71
www.krankengymnastik-schwarz.de
RADIOLOGIE UND NUKLEARMEDIZIN
02 (GLEIS EINS, S. 42/43)
Prof. Dr. Stephan Schmitz und Kollegen
BAG Radiologie und Nuklearmedizin
Frohsinnstraße 20 63739 ASCHAFFENBURG
Telefon 0 60 21/15 07 90
Privathotline 0 60 21/1 50 79 99 www.radiologie-ab.de





SPRACHTHERAPIE
03 (GLEIS EINS, S. 18/19)
Akademische Praxis für Sprachtherapie
Dr. phil. Ingeborg Maser
Neurolinguistin/Klinische Linguistin dbs/dbl
Frohsinnstraße 28 63739 ASCHAFFENBURG
Telefon 0 60 21/45 27 27
Telefax 0 60 21/45 27 28
www.sprachtherapie-maser.de
UROLOGIE
06 (GLEIS EINS, S. 26/27)
Dr. med. Patrick Sawaya
Facharzt für Urologie
Ludwigstraße 4
63739 ASCHAFFENBURG
Telefon 0 60 21/1 33 55
Telefax 0 60 21/21 90 01
www.dr-sawaya.de
Nilkheim Magnolienweg
Frohsinnstr.
Bodelschwinghstr.
ZAHNÄRZTE
01 (GLEIS EINS, S. 44/45)
Gemeinschaftspraxis Prof. Dres. Kreusser, Hechler & Kollegen
Prof. Dr. Dr. Bernd Kreusser
Facharzt für Mund-, Kiefer- und Gesichtschirurgie
Spezialist für Implantologie
Dr. Joachim Kreusser
Fachzahnarzt für Oralchirurgie
Spezialist für Implantologie und Ästhetische Zahnheilkunde
Dr. Manfred Hechler
Facharzt für Mund-, Kiefer und Gesichtschirurgie
Plastische Operationen
Tätigkeitsschwerpunkt Implantologie
Dr. Sabine Hechler
Zahnärztin
Tätigkeitsschwerpunkt Ästhetische Zahnheilkunde
Dr. Florian Kreusser
Zahnarzt
Belegärzte in der Hofgartenklinik und im Klinikum Aschaffenburg
Friedrichstraße 19 63739 ASCHAFFENBURG
Telefon 0 60 21/35 35 0
Telefax 0 60 21/35 35 35
www.kreusser-hechler.de






D E S I G N K L A S S I K E R .
Eröffnet neue Perspektiven. Das neue CLE Cabriolet.
Entdecken Sie zeitlose Eleganz und Dynamik durch besondere Design-Highlights wie rahmenlose Türen, kraftvolle Powerdomes oder die neu gestaltete Front
Jetzt bei Ihrem Autohaus Kunzmann Probe fahren