Kirurgen 3-2025

Page 1


Rask gjenopprettelse av testosteron ORGOVYX® (relugoliks)

For behandling av voksne pasienter med fremskreden hormonsensitiv prostatakreft2

ADT= Androgen Deprivation Therapy

*Behandling av avansert hormonavhengig prostatakreft. Refusjonskoder: ICPC Y77: Ondartet svulst i prostata. ICD C61 Ondartet svulst i blærehalskjertel. Vilkår 9: Behandlingen skal være instituert i sykehus, sykehuspoliklinikk eller av spesialist i vedkommende disiplin.

Referanser: 1. Shore ND, et al. N Engl J Med. 2020;382(4):2187–2196. 2. Preparatomtale Orgovyx (relugoliks), seksjon 4.1 og 5.1. www.felleskatalogen.no.

Dette legemidlet er underlagt særlig overvåking. Orgovyx (relugoliks) 120 mg filmdrasjerte tabletter, ATC-nr.: L02BX04, Reseptgruppe: C. Reseptbelagt. Indikasjon: Behandling av voksne pasienter med fremskreden hormonsensitiv prostatakreft. Dosering og administrasjonsmåte: Behandling med Orgovyx skal startes og overvåkes av spesialleger med erfaring innen medisinsk behandling av prostatakreft. Behandling med Orgovyx skal innledes med en startdose på 360 mg (tre tabletter) på den første dagen, etterfulgt av en dose på 120 mg (én tablett) som tas én gang daglig på omtrent samme tid hver dag. Orgovyx kan tas med eller uten mat. Tablettene bør tas med litt væske etter behov, og skal svelges hele. Kontraindikasjoner: Overfølsomhet for innholdsstoffene. Advarsler og forsiktighetsregler: Androgen deprivasjonsterapi kan forlenge QT-intervallet. Hos pasienter med en historie med eller risikofaktorer for QT-forlengelse samt hos pasienter som samtidig får legemidler som kan forlenge QT-intervallet, må man nøye evaluere samtidig bruk av Orgovyx med legemidler kjent for å forlenge QT-intervallet, eller legemidler som kan indusere torsades de pointes, slik som klasse IA (f.eks. kinidin, disopyramid) eller klasse III (f.eks. amiodaron, sotalol, dofetilid, ibutilid) antiarytmika, metadon, moksifloksacin, antipsykotika osv. Hjerte- og karsykdom slik som myokardinfarkt og slag har blitt rapportert for pasienter som fikk androgen deprivasjonsterapi. Derfor bør alle risikofaktorer for hjerte- og karsykdom tas med i beregningen. Redusert bentetthet kan forekomme. Redusert bentetthet, hos pasienter med ytterligere risikofaktorer, kan føre til osteoporose og økt risiko for benfraktur. Overvåkning av leverfunksjon hos pasienter med kjent eller mistenkt leversykdom er tilrådelig under behandling, da det er observert lette forbigående økninger i ALAT og ASAT. Forsiktighet ved alvorlig nedsatt nyrefunksjon. Eksponeringen for relugoliks hos pasienter med alvorlig nedsatt nyrefunksjon kan være økt med opptil 2 ganger. Det må utvises forsiktighet hos pasienter med alvorlig nedsatt nyrefunksjon ved administrasjon av en 120 mg dose med relugoliks én gang daglig. Effekten av Orgovyx skal overvåkes via kliniske parametere og nivåer av prostataspesifikt antigen (PSA) i serum. Interaksjoner: P-gp-hemmere: Samtidig administrasjon av Orgovyx og orale P-gp-hemmere anbefales ikke. Legemidler som er orale P-gp-hemmere inkluderer visse legemidler mot infeksjon (f.eks. azitromycin, erytromycin, klaritromycin, gentamicin, tetracyklin), antimykotika (ketokonazol, itrakonazol), antihypertensiva (f.eks. karvedilol, verapamil), antiarytmika (f.eks. amiodaron, dronedaron, propafenon, kinidin), antianginale legemidler (f.eks. ranolazin), cyklosporin, humant immunsviktvirus (hiv)- eller hepatitt C-virus (HCV)-proteasehemmere (f.eks. ritonavir, telaprevir). Hvis samtidig administrasjon med orale P-gp-hemmere én eller to ganger daglig er nødvendig, skal Orgovyx tas først og den orale P-gp-hemmeren tas 6 timer senere, og pasientene skal overvåkes hyppigere for bivirkninger. Alternativt kan behandling med Orgovyx avbrytes i opptil 2 uker for en kort behandlingsperiode med en P-gp-hemmer. Hvis behandling med Orgovyx avbrytes i mer enn 7 dager, skal administrasjon av Orgovyx gjenopptas med en startdose på 360 mg på den første dagen etterfulgt av 120 mg én gang daglig. Kombinerte P-gp- og sterke CYP3A-induktorer: Samtidig administrasjon av Orgovyx med kombinerte P-gp- og sterke CYP3A-induktorer anbefales ikke. Legemidler som er kombinerte P-gp- og sterke CYP3A4-induktorer inkluderer den androgene reseptorinduktoren apalutamid, visse antikonvulsiva (f.eks. karbamazepin, fenytoin, fenobarbital), legemidler mot infeksjon (f.eks. rifampicin, rifabutin), johannesurt (Hypericum perforatum), hiv- eller HCV-proteaseinduktorer (f.eks. ritonavir) og ikke-nukleoside reverstranskriptaseinduktorer (f.eks. efavirenz). Hvis samtidig administrasjon er nødvendig, skal Orgovyx-dosen økes. Etter seponering av den kombinerte P-gp- og sterke CYP3A-induktoren skal den anbefalte dosen Orgovyx gjenopptas én gang daglig. Fertilitet, graviditet og amming: Legemidlet er ikke indisert for kvinner i fertil alder. Det skal ikke brukes hos kvinner som er eller kan være gravide eller som ammer. Bivirkninger: Noen mindre vanlige bivirkninger kan være alvorlige, og lege kontaktes umiddelbart dersom symptomer på urtikaria eller angioødem utvikles (kan forekomme hos opptil 1 av 100 personer). De vanligste bivirkningene under behandling med relugoliks er fysiologiske effekter av testosteronsuppresjon, inkludert hetetokter (54 %), muskel- og skjelettsmerter (30 %) og fatigue (26 %). Andre svært vanlige bivirkninger inkluderer diaré og forstoppelse (12 % hver). Svært vanlige: Karsykdommer: hetetokter. Gastrointestinale sykdommer: diaré, forstoppelse. Sykdommer i muskler, bindevev og skjelett: muskel- og skjelettsmerter. Generelle lidelser og reaksjoner på administrasjonsstedet: fatigue. Vanlige: Sykdommer i blod og lymfatiske organer: anemi. Endokrine sykdommer: gynekomasti. Psykiatriske lidelser: insomni, depresjon. Nevrologiske sykdommer: svimmelhet, hodepine. Gastrointestinale sykdommer: kvalme. Hud- og underhudssykdommer: hyperhidrose, utslett. Lidelser i kjønnsorganer og brystsykdommer: redusert libido. Undersøkelser: vektøkning, økt glukosed, økt triglyserid, økt blodkolesterol. Mindre vanlige: Hjertesykdommer: myokardinfarkt. Hud- og underhudssykdommer: urtikaria, angioødem. Sykdommer i muskler, bindevev og skjelett: osteoporose/ osteopeni. Undersøkelser: økt aspartataminotransferase, økt alaninaminotransferase. Ikke kjent frekvens: Hjertesykdommer: forlenget QT-tid. Pakningsstørrelser og pris: Orgovyx Filmdrasjert tablett, 120 mg: 30 stk. flaske: 1674,6 kr. Blå resept: Ja. Refusjonsberettiget bruk: Behandling av avansert hormonavhengig prostatakreft. Refusjonskoder: ICPC Y77: Ondartet svulst i prostata. ICD C61 Ondartet svulst i blærehalskjertel. Vilkår 9: Behandlingen skal være instituert i sykehus, sykehuspoliklinikk eller av spesialist i vedkommende disiplin. Basert på SPC godkjent av DMP/EMA: 10/2024. Innehaver av markedsføringstillatelse: Accord Healthcare S.L.U., World Trade Center, Moll de Barcelona, s/n, Edifici Est 6ª planta, 08039 Barcelona, Spania. Tel: +34 93 301 00 64. Les preparatomtale (SPC) for ytterligere informasjon, se www.felleskatalogen.no NO-Onc-Org-01440

LES MER HER!

FASTE SPALTER

TEMAER I 2025:

Nr. 1. Plastikkirurgi

Nr. 2. Bryst- og endokrinkirurgi

Nr. 3. IBD-kirurgi

Nr. 4. Nevrokirurgi

INNLEVERINGSFRISTER: Kirurgen nr 4-25: 24. oktober

TEMA

IBD-kirurgi

kirurgi ved Crohns sykdom

Bekkenreservoar ved ulcerøs kolitt

Kirurgen ønsker å være en nasjonal plattform for kirurgi ved å inspirere til faglig kompetanseheving, bedre utdanning og opplæring av unge kirurger, samt øke interessen for kirurgisk forskning.

– VISJON, KIRURGEN

UTGIVER

Norsk Kirurgisk Forening Pb 17 Kjelsås, 0411 Oslo ISSN 1504-88 88

REDAKSJON

Tobias Hauge (redaktør) OUS Ullevål tobias@kirurgen.no

Marte Bliksøen (redaksjonsmedlem)

OUS Rikshospitalet marte@kirurgen.no

Saira Mauland Mansoor (redaksjonsmedlem) OUS Ullevål saira@kirurgen.no

David Hui (redaksjonsmedlem) OUS Rikshospitalet david@kirurgen.no

AVMELDING TIDSSKRIFT medlemsservice@kirurgen.no

LAYOUT, PRODUKSJON OG ANNONSESALG

Apriil Media AS www.apriil.no

Annonsesalg ragnar.madsen@apriil.no

Tlf.: 92 84 84 02

Ernæring og habilitering ved kirurgi for inflammatorisk tarmsykdom

Medikamentell behandling av inflammatorisk tarmsykdom

Kompleks IBD-kirurgi bør henvisestil et universitetssykehus

AKUTTKIRURGI

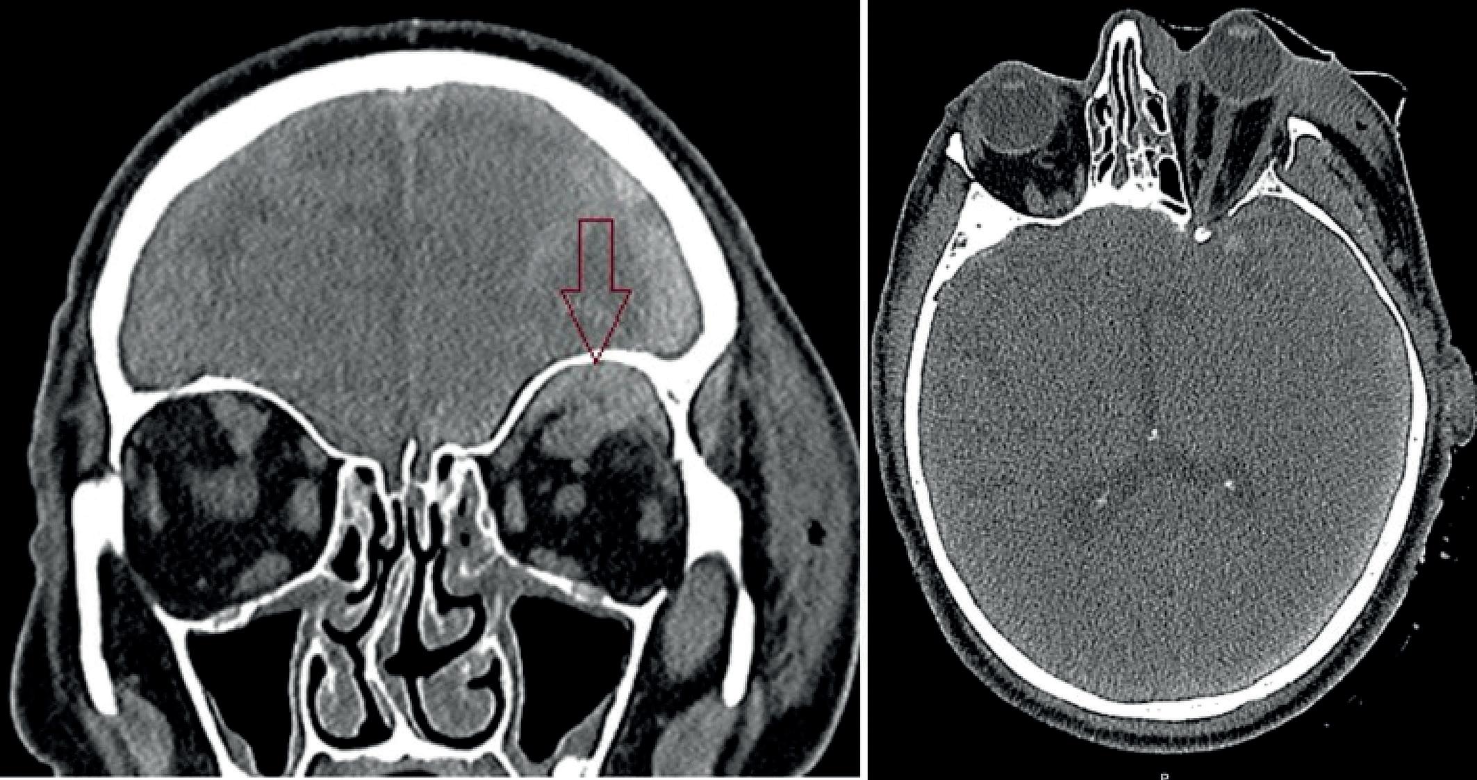
Orbitaskader – Når haster det?

MIN PHD

Congenital Duodenal Obstruction: Trends in treatment and patient-reported outcomes

MALTHES LEGAT

Reisebrev fra Wroclaw

PASIENTKASUISTIKK

Den tause luftlekkasjen – en sjelden årsak til pneumomediastinum

HØSTMØTET 2025

Forsidebildet: Bildet er publisert etter samtykke fra pasient.

ETT BLAD OG ETT SAMLINGSPUNKT FOR ALLE NORSKE KIRURGER

Kjære leser, jeg håper ikke forsidebildet skremte deg, men snarere pirret nysgjerrigheten. Temaet denne gangen er inflammatorisk tarmsykdom (IBD), og bildet viser en typisk manifestasjon: fistulerende Crohns sykdom. I denne utgaven finner du interessante og spennende artikler om alt fra prehabilitering av pasienter med IBD til avanserte medisinske og kirurgiske behandlingsmetoder.

Redaksjonen i Kirurgen har som mål å lage et blad som engasjerer og favner alle norske kirurger. Derfor varierer vi både tema og sykehus som står bak utgivelsen. Bare i år har vi skrevet om bryst- og endokrinkirurgi, plastikkirurgi – nå er det IBD, og årets siste utgivelse vil fokusere på nevrokirurgi. Vi ønsker med dette å vise bredden i det norske kirurgiske miljøet, ikke bare i temamessig, men også geografisk. Det gleder oss derfor stort at Gastrokirurgisk avdeling ved UNN Tromsø, med god støtte fra noen søringa, har fått hovedansvaret for denne utgivelsen. Resultatet har blitt et nummer de kan være svært stolte av!

Når dette bladet kommer ut, er vi midt i oktober og det er få dager til en av de virkelig store begivenheter blant norske kirurger – det 100. Kirurgiske Høstmøtet! Høstmøtet er unikt, ved at det er et møte som forener alle norske kirurger, uavhengig av spesialitet. Et møte hvor man

treffer både nye og gamle kollegaer, fra nært og fjernt, kollegaer som kanskje arbeider et helt annet sted og med noe helt annet enn en selv, men hvor alle forenes ved at vi er kirurger. Foruten å være en viktig sosial møteplass, er Høstmøtet også en viktig faglig møteplass hvor små kvalitetsarbeider og case-rapporter utgående fra lite sykehus er like viktig som et seminar med en anerkjente internasjonale forsker. For er det en ting som er sikkert er det at vi må vite hvordan det går med de pasientene vi opererer. Mange av oss synser, men skal en vite sikkert, må en systematisk følge opp de pasientene en har operert. Høstmøtet har for mange hvert det årlige møte, som har bidratt litt ekstra til at en gjør dette, tidvis tunge, men ekstremt viktige kvalitetsarbeidet. Et abstrakt på Høstmøtet har også for mange vært billetten til en Oslo-tur og kanskje den første erfaring med å presentere et faglig arbeide foran en større gruppe kollegaer. Det var derfor med stor skuffelse at jeg i fjor observerte at det var en drastisk nedgang i antall innsendte abstrakt innenfor mitt eget fagområde, gastrokirurgi. Jeg håper det var et engangstilfelle og at vi i år er tilbake på gamle høyder!

Med dette ønsker jeg dere riktig god lesing. Håper mange av dere får deltatt på Høstmøtet og spesielt Kirurgmiddagen 23.10.25 hvor Kirurgen vil dele ut prisen for årets artikkel i 2024/2025.

TOBIAS HAUGE , REDAKTØR TOBIAS @ KIRURGEN.NO

VIL DU PUBLISERE I KIRURGEN?

Send inn din originalartikkel eller pasientkasuistikk! Har du et spennende forskningsprosjekt eller en pasientkasuistikk du vil dele med alle norske kirurger? Da søker vi deg!

PASIENTKASUISTIKK

• MAKSIMALT 1250 ord.

• Inntil 5 illustrasjoner (flytskjema, bilder, figurer og tabeller).

• Det må i artikkelen presiseres at pasienten har samtykket til publikasjon.

ORIGINALARTIKLER

Vitenskapelig artikkel, basert på egne innsamlede og bearbeidede data

• MAKSIMALT 3000 ord.

• Mellom 4-10 illustrasjoner (flytskjema, bilder, figurer og tabeller).

• Skal ha følgende avsnitt med følgende rekkefølge: introduksjon, metode, resultater og diskusjon.

Send ditt bidrag til Tobias Hauge, Redaktør Kirurgen: E-post: tobias@kirurgen.no FOR MER INFORMASJON

Grip sjansen til å vise frem ditt arbeid og inspirere kollegaer!

Laparoscopic Portfolio

The Next Level of Advanced Bipolar Technology

The Choice Is Yours

· Three different jaw styles.

· Three shaft lengths.

· One common handle design.

www.olympus.eu/POWERSEAL

Foto: Arkady Rutkovskiy

MARI - LIIS KALJUSTO , LEDER NKF

MARI - LIIS.KALJUSTO @ OUS - HF.NO

HØSTMØTE OG HELSETANKER

Jeg fikk nylig et eksemplar av Kirurgen fra 2001 i posten. Tolv sider tynn, men med tankevekkende innhold: køer, pengemangel og stortingsvedtak på en milliard kroner for å sende pasienter til utlandet for behandling. Mye har forandret seg, men kjernen i utfordringene i sykehusdriften er dessverre den samme.

Valget er over for denne gang. En engasjert helseminister er en viktig ressurs for både pasientene og oss i helsetjenesten. Kontinuitet er viktig, men la oss komme oss videre. Tiden er inne for å slutte å behandle sykehus som butikker, og heller sørge for reell, forutsigbar finansiering over statsbudsjettet. Dette evige “spare-spillet” er omtrent like givende som å legge kabal med én hånd.

Men nå – til det viktigste:

HØSTMØTET 2025 – DET 100. I REKKEN!

En milepæl som gir rom for både refleksjon og fremtidsblikk. Høstmøtet er vår viktigste møteplass – et sted for faglig fordypning, kollegialt fellesskap og inspirasjon til veien videre. Årets Høstmøtekomité, ledet av Usman Saeed og Stian Skramstad, har lagt ned en imponerende innsats for å skape et program med perfekt balanse mellom fag og fellesskap. Sammen med vår nye møtearrangør, LIWLIG, ligger alt til rette for en inspirerende uke. Følg med på hostmotet.no – og meld deg på!

NYTT AV ÅRET: STUDENTENE ER MED!

Onsdag kveld fylles Meet Ullevål av fremtidens kirurger! Rundt 100 kirurgiinteresserte medisinstudenter markerer Helseinnovasjonsdagen sammen med oss i NKF. Dette er et strålende initiativ som studentorganisasjonene Oslo Chirurgiske Sælskab og Studenter for Medisinsk Innovasjon selv har tatt. I en tid med rekrutteringsutfordringer og en økende kvinneandel blant medisinstudentene, er deres engasjement en uvurderlig ressurs for faget.

Arrangementet byr på spennende presentasjoner og muligheter til å teste praktiske ferdigheter. For oss i NKF er det aller viktigste å møte morgendagens talenter. Kanskje finner du din neste LIS akkurat her?

Jeg gleder meg til å treffe mange av dere under Høstmøteuka. Vi kirurger trenger hverandre – og pasientene trenger oss, helst uthvilte, til stede og med tid til den gode samtalen. Kanskje Høstmøtet også kan være en katalysator for bedre kollegastøtte i hverdagen: Spis lunsj sammen. Del erfaringer. Snakk med den unge LIS – og med henne som skal pensjonere seg neste sommer. For vi vet at den beste kirurgen er en del av et godt team.

Vi sees på Høstmøtet!

På vegne av styret

Mari-Liis Kaljusto

Leder NKF

IBD - KIRURGI

STIG NORDERVAL

IBD er kroniske tarmsykdommer som ofte rammer unge mennesker, og insidensen er økende med rundt 3500 nye tilfeller årlig. Riktig behandling til riktig tidspunkt er avgjørende for å unngå ytterligere sykdomsprogresjon, komplikasjoner til både sykdommen og behandlingen, og langvarige forløp ofte hos unge pasienter ute av stand til å delta i normalt arbeids- og familieliv. Risiko for tilbakefall ved forsinket og feil timing av behandling er et annet aspekt. Inflammatorisk tarmsykdom er en ikke-malign sykdom som ikke omfattes av de samme forløps- og garantifrister som maligne tilstander i GI-traktus. Det er viktig å løfte oppmerksomheten rundt behandlingen av denne pasientgruppen, noe vi håper å gjøre med artikkelsamlingen i denne utgaven av Kirurgen.

Behandlingen av IBD har blitt betydelig bedret gjennom de siste årene med tilkomst av flere nye og effektive medikamenter, og behovet for stor og repetert kirurgi har avtatt betraktelig. Likevel er det fortsatt behov for et tett samarbeid mellom gastroenterolog og gastrokirurg da mange pasienter fortsatt vil trenge kirurgisk intervensjon. Tidsaspektene ved behandlingen - både medikamentell behandling, prehabilitering og kirurgi - kan ha stor betydning for det videre forløpet, både for aktuell sykdomshendelse, men også gjennom et helt liv med kronisk tarmlidelse. Langvarig inflammasjon og ernæringssvikt kan føre til at rekonstruktiv kirurgi med anastomoser eventuelt ikke kan gjennomføres, og infeksiøse komplikasjoner med fistler kan gjøre kirurgien mer omfattende og inngripende dersom sykdommen får utvikle seg i ventetid på behandling. IBD-kirurgi, og spesielt ved Crohn, er beheftet med økt komplikasjonsrisiko. En ekstra årvåkenhet når det gjelder preoperativ vurdering av sykdomsaktivitet, ernæringsstatus og øvrig klinisk status er spesielt viktig.

Som kirurger på et lite universitetssykehus har vi både lokalt og sentralisert ansvar for IBD pasienter i vår region. Dette innebærer behandling av ulcerøs kolitt med kolektomier og ileoanalt reservoar, fistulerende Crohn, samt kompleks perianal Crohn. Vi har også muligheten til å følge pasienter ved Bekkensenteret ved UNN, der pasienter med funksjonsforstyrrelser får oppfølging

MARTIN HAGVE
ELISABETH MYRSETH
TROND DEHLI

med spesialsykepleier med konservativ behandling av funksjonsforstyrrelser, fysioterapeut og urolog/gynekolog ved behov.

Pasienter som vurderes for kirurgi diskuteres ved tverrfaglige IBD-møter der deltagere fra andre sykehus er med ved behov. Videre er den pre- og postoperative oppfølgingen ved IBD er en stor del av behandlingen, der stomisykepleier, klinisk ernæringsfysiolog og andre spesialsykepleiere følger opp pasientene på dedikerte poliklinikker sammen med gastroenterologer og kolorektalkirurger.

Vi ønsker i dette nummeret av Kirurgen å komme med en sammenfatning av utredning og behandling av de vanlig­

ste problemstillingene innenfor IBD. Vi håper dette kan være nyttig lesning og at det kan være med på at vi styrker det lokale, regionale og nasjonale samarbeidet rundt IBD-pasientene. Kanskje denne artikkelsamlingen også kan inspirere oss til videre arbeid for å få på plass nasjonale anbefalinger som vil gi sikkerhet for god behandling i riktig tid for IBD-pasientene

Takk til alle artikkelmedforfatterne for deres gode arbeid med dette temanummeret, og til Kirurgen for en spennende og viktig temautfordring!

Med hilsen

Martin Hagve, Elisabeth Myrseth, Trond Dehli, Stig Norderval

Er du legespesialist og ønsker å bruke kompetansen din som del av et viktig samfunnsoppdrag?

Norsk pasientskadeerstatning søker sakkyndige spesialister innen kirurgiske og medisinske spesialiteter.

Et faglig utviklende, samfunnsnyttig og fleksibelt oppdrag fra hjemmekontor, som kan kombineres med din nåværende jobb.

Les mer på npe.no

What if there’s a smarter way?

LumenEye® X1 System består av:

• LumenEye® X1 endoskop

• Nettbrettskjerm med full HD

• Intuitiv CHiP-programvareplattform

• Bærbart etui og arbeidsstasjon

Brukes sammen med LumenEye® X1 Consumables.

Medivatus er stolt distributør for LumenEye® i Norge

LumenEye® X1 System: Fremtidens digitale endoskop

LumenEye X1 System gir HD-kvalitet på bilder og video av anorektum, noe som både forbedrer den diagnostiske nøyaktigheten og reduserer behovet for formell endoskopi.

USB-tilkobling gir rask dataoverføring, sikker lagring og deling av bilder og video, samt mulighet for raskere diagnostisering og tiltak for behandling.

medivatus.com

LumenEye® X1 kan brukes ved polikliniske undersøkelser, kreftreseksjon, anastomoseovervåkning og endoskopisk kirurgi.

Den intelligente utformingen gir en komfortabel og effektiv bruker- og pasientopplevelse.

ABDOMINAL KIRURGI VED CROHNS SYKDOM

Crohns sykdom er en kronisk inflammatorisk tarmsykdom. Behandlingen er primært medisinsk. Flere medikamenter er aktuelle ved behandling; lokale og systemiske steroider, thiopurin, metotreksat, biologisk behandling og anti-intergrin og anti-interleukin. Årsaken til Crohns sykdom er ikke kjent, og kurativ behandling er derfor ikke tilgjengelig. Omkring halvparten av pasientene vil være i behov av kirurgi i løpet av ti år etter at diagnosen er stilt (1).

DEHLI T 1,2 OG TØTTRUP A 3

1 GASTROKIRURGISK AVDELING, UNIVERSITETSSYKEHUSET NORD - NORGE TROMSØ, NORGE

2 INSTITUTT FOR KLINISK MEDISIN, UIT NORGES ARKTISKE UNIVERSITET, TROMSØ, NORGE

3 KIRURGISK AVDELING, REGIONSHOSPITALET I VIBORG, DANMARK

KORRESPONDANSE: TROND DEHLI - TROND.DEHLI @ UNN.NO

Behandlingen har tradisjonelt fulgt en gradvis opptrapping (Figur 1). Avhengig av effekt og alvorlighetsgrad av sykdommen, kan man bevege seg opp og ned i behandlingspyramiden (2). Andre har argumentert for en «topdown» tilnærming, med fokus på nedtrapping av behandling når man har oppnådd behandlingsmålsettingen.

Kirurgi har tradisjonelt fremstått som siste alternativ når medisinsk behandling ikke har effekt. Denne tilnærmingen til kirurgisk behandling er utfordret av særlig LIR!C-studien (3). LIR!C-studien er en randomisert studie som sammenligner laparoskopisk ileocoecal reseksjon og biologisk behandling (Infliximab) hos voksne pasienter med Mb Crohn med begrenset ikke-stenoserende ileocoecal affeksjon (< 40 cm) og med utilstrekkelig effekt av immunmodulerende behandling. Studien viser at kirurgi er et godt behandlingsalternativ hos pasienter med terminal ileitt der konvensjonell behandling ikke er tilstrekkelig. Det ble ikke funnen noen forskjell i livskvalitet mellom gruppene etter 12 måneder, som var studiens primære endepunkt. Etter mer enn fem år klarte 42 % av pasientene i kirurgi-gruppen seg uten medikamentell behandling og ingen av pasientene trengte ytterligere reseksjoner (4). I Infliximab-gruppen gjennomgikk nærmere halvparten av pasientene en Crohns-relatert reseksjon.

INDIKASJONER FOR KIRURGI

De vanligste indikasjonene for kirurgi ved Crohns sykdom er symptomgivende stenose, fistler/abscess og behandlingsresistent sykdom. Mer sjeldne indikasjoner er blødning, påvirket vekst hos barn og utvikling av kreft.

FIGUR 1. Behandlingspyramiden ved inflammatorisk tarmsykdom.
(Tegnet av Stian Wendelborg og Trond Dehli)

KIRURGISK TILGANG

Laparoskopisk kirurgi foretrekkes fremfor åpen kirurgi ved inflammatorisk tarmsykdom dersom det er mulig. IBD-pasienter har samme fordeler av mini-invasiv teknikk som andre pasienter (1).

TIMING AV KIRURGI

Elektiv kirurgi gir mindre komplikasjoner, mindre konverteringer fra laparoskopisk kirurgi til åpen kirurgi og færre stomier enn ved akutt kirurgi (1,5). Så fremt det er mulig, bør pasientene optimaliseres før kirurgi med tanke på ernæring, justering av medikamenter, røykestopp og kontroll på sepsis/abscesser/fistler. LIR!C-studien har vist at tidlig kirurgi ved ileocoecal sykdom, altså før man starter biologisk behandling, kan være fordelaktig (3). Ved fistulerende sykdom, kan det også være en fordel med kirurgi tidlig, før sykdommen blir mer komplisert med behov for større kirurgi.

ABSCESSER OG FISTLER

Intra-abdominale abscesser bør behandles med antibiotika og dreneres perkutant, hvis det ligger til rette for det. Abscessdrenasje gir bedre infeksjonskontroll og er i noen tilfeller tilstrekkelig behandling. Vanligvis utføres abscessdrenasje ultralyd- eller CT-veiledet. Hvis abscessen ikke går tilbake, eller ved allerede etablert fistel, kan det bli nødvendig med kirurgi og da oftest med reseksjon av det affiserte tarmavsnittet. Perkutan drenasje i forkant er likevel en fordel for å oppnå bedre kontroll med infeksjonen og eventuell sepsis (1).

Fistler mellom forskjellige tarmavsnitt og fistler til hud med liten produksjon er ikke alene indikasjon for kirurgi (1).

STRIKTURER

Ved etablerte strikturer er det kliniske bildet variabelt, fra milde, takvise magesmerter til ileus.

Inflammatoriske stenoser skal behandles medisinsk, mens etablerte, fibrøse stenoser må opereres. Radiologisk vurdering (MR) kan til en viss grad skille mellom disse. Ved kortere stenoser (<5 cm) som kan nås endoskopisk, kan ballongdilatasjon vurderes.

Ved operasjon er det vanligst å resesere det syke tarmavsnittet til frisk tarm på begge sider før man anlegger en anastomose. Man anbefaler 2 cm fri reseksjonsrand (makroskopisk). Hvis det er flere stenoser eller pasienten har gjennomgått tarmreseksjon(er) tidligere, er det mer aktuelt å gjøre strikturplastikker for å unngå kort-tarm og ernæringsproblemer. De to vanligste strikturplastikkene er å åpne stenosen på langs og lukke på tvers for de korte (Heinecke-Mikulicz) og side-til-side anastomose for de lange (Finney)(Figur 2) (6).

Studier har vist gode resultater ved strikturplastikk, også over tid (7,8). Det er vanskelig å sammenligne strikturplastikk og reseksjon med anastomose, da studiene og meta-analysene bygger på ikke-randomiserte data (7–9). Strikturplastikk har sannsynligvis residivrate omtrent som ved reseksjon.

FIGUR 2. Strikturplastikker. A ) Plastikk ved korte stenoser, Heinecke-Mikulicz. B 1 og B2)
Plastikk ved lengre stenoser, Finney.

ANASTOMOSETEKNIKK/KONO - S

Kirurgisk teknikk ved anleggelse av anastomose har vært undersøkt i mange studier. I hovedsak har man sammenlignet ende-til-ende og sidetil-side (Figur 3), hvor både stapler og manuell sutur er brukt. Det er gjort flere meta-analyser som baserer seg på en del svake kohortstudier og delvis gamle data, hvor man likevel finner noe støtte for at side-tilside-anastomose bidrar til færre postoperative komplikasjoner, færre klinisk residiv og færre reoperasjoner (10,11). I europeiske retningslinjer anbefales det side-side-anastomose ved ileocolisk reseksjon og tynntarmreseksjon hos pasienter med Mb Crohns (1).

Kono-S er en anastomoseteknikk som isolerer selve anastomosen fra kontakt med mesenteriet (Figur 4) (12). En fersk meta-analyse basert på 15 studier og 1500 pasienter tyder på at Kono-S anastomose kommer bedre ut enn konvensjonell anastomose når det gjelder residiv vurdert endoskopisk (41 % for Kono-S, 48 % for tarmreseksjon), residiv med behov for ytterligere kirurgi (2,7 % for Kono-S, 21 % for tarmreseksjon), samt risiko for anastomoselekkasje (1,7 % for Kono-S, 4,9 % for tarmreseksjon) (13). Dette resultatet er bekreftet i en randomisert studie (14). En annen randomisert studie har ikke funnet noen forskjell mellom konvensjonell anastomose og Kono-S (15). Europeiske retningslinjer åpner for å benytte Kono-S-anastomosen ved andre reseksjoner enn ileocoecal reseksjon (1). Det skal nevnes at en vanlig antimesenteriell side-til-side anastomose (Figur 3) også vil isolere selve anastomosen fra mesenteriet slik som Kono-S, men dette er lite problematisert i studiene nevnt her.

CROHN I KOLON OG REKTUM

Ved Crohn-affeksjon av kolon og rektum blir beslutninger og kirurgisk behandlingsvalg mer komplekse. Indikasjonene for reseksjon av et eller flere kolonsegmenter er stenoser og fistler, samt symptomgivende inflammasjon på tross av medisinsk behandling.

Hvis et begrenset segment av kolon er affisert, er segmental kolonreseksjon et alternativ (1). Ved to affiserte segmenter eller mer omfattende affeksjon, er kolektomi anbefalt (1).

Hos pasienter med Crohn-affeksjon i kolon, rektum og/eller analt kan det være situasjoner hvor anleggelse av avlastende stomi er indisert. Hvis man anlegger stomi oralt for Crohn-affisert tarm, vil inflammasjonen som hovedregel falle til ro i tarmsegmentene distalt for stomien. Dette gjelder spesielt for rektal og anal Crohn.

Ved kolektomi, kan man enten anlegge en ileostomi eller ileorektal anastomose. Ileorektal anastomose kan være et godt valg, men det krever at pasienten har normal sfinkterfunksjon, rektal kapasitet omkring 150 ml målt ved oppfyllingstest (ballong i rektum som fylles med vann), og ikke har inflammasjon i rektum/analkanal. Ved gjenværende rektumstump og ved ileorektal anastomose, må man huske på økt risiko for utvikling av kreft, og rektum bør derfor kontrolleres jevnlig endoskopisk (16).

FIGUR 3. Side-til-side anastomose. (Tegnet av Stian Wendelborg og Trond Dehli)
FIGUR 4. Kono-S anastomose. (Tegnet av Stian Wendelborg og Trond Dehli)

MESENTERIELL RESEKSJON

Det er vanlig å fjerne den fortykkede delen av mesenteriet ved tynntarmreseksjon med som oftest en partiell reseksjon av mesenteriet i tilknytning til det syke tarmavsnittet som skal fjernes.

En kohortstudie fra Irland tyder på bedre effekt av mer radikal fjerning av mesenteriet (17). To studier har vist gode resultater med mer radikal reseksjon av mesenteriet, med mindre postoperativt residiv av Crohn (18,19). En randomisert studie med totalt 131 pasienter som fikk ileocoecal reseksjon ved seks sentre i Nederland og Italia, viste ingen endoskopisk forskjell med hensyn til Crohn residiv mellom utvidet mesenteriell reseksjon og mesenteriell-sparende kirurgi (19). En fersk systematisk oversikt og meta-analyse konkluderer med det samme (20).

FOREBYGGING AV RESIDIV ETTER KIRURGI

Til forskjell fra kirurgi ved ulcerøs kolitt, er ikke kirurgi ved Mb Crohn kurativ. Residiv kan forekomme allerede noen uker etter kirurgi, og det kan gå mange år til residivet kommer. Ofte involverer residivet den opererte delen av gastrointestinaltraktus, i særlig grad selve anastomoseområdet. Risikofaktorer for residiv inkluderer tidligere kirurgi, fistulerende sykdom og histologiske funn (granulomer, myenterisk pleksitt) (21). Disse kan vi ikke gjøre noe med.

Røyking gir både økt risiko for residiv og økt risiko for mer alvorlig sykdom enn for ikke-røykere ved Crohns sykdom (22).

Kirurgisk teknikk kan muligvis påvirke risikoen for residiv. Ved reseksjon av tarm er det ikke redusert residivrisiko med vide reseksjonsmarginer (12 cm) sammenlignet med kort reseksjonsmargin (2 cm) (23). Ved omhyggelig palpasjon av den mesenterielle randen kan man identifisere overgangen mellom inflammert og ikke-inflammert tarm (24). Ved valg av anastomosetype bør man ha i tankene, at mange pasienter vil bli tilbudt koloskopisk kontroll 6-12 måneder etter kirurgi. Her vurderes primært graden av inflammasjon i anastomoseområdet, og anti-peristaltiske side-til-side-anastomoser kan være vanskeligere å vurdere endoskopisk enn andre anastomosetyper. Det vil også være vanskeligere å utføre endoskopisk ballong-dilatasjon av en anti-peristaltisk anasto­

mose. Anastomose bør likevel anlegges side-til-side (1). Både Kono-S-anastomosen og utvidet mesenteriell reseksjon vil kreve større, randomiserte studier for å få avklart bedre hvilken plass de bør ha i behandlingen.

Medisinsk behandling kan bidra til å redusere risikoen for residiv etter kirurgi. Det er flere strategier for medisinsk behandling for å redusere residivforekomsten. Man kan gi det til alle, man kan avvente til gjennomført endoskopi 6-12 måneder etter kirurgi, eller man kan stratifisere etter risikofaktorer som røyking, tidligere kirurgi, penetrerende sykdom, granulomer i resektatet, myenterisk pleksitt, <30 års alder ved operasjonstidspunktet, >50 cm tarmreseksjon og perianal sykdom. Det er ikke enighet om hvilke risikofaktorer man skal ta hensyn til, om grensen går ved en eller flere enn en risikofaktor, og det er ikke entydig hva profylaksen skal bestå av (21).

Metronidazol i lav dose (20 mg/kg/døgn) har i en randomisert studie redusert residiv signifikant sammenlignet med placebo (25). En Cochrane-analyse så på effekt av residiv etter kirurgi for Crohn ved flere medikamenter, og fant noe holdepunkt for at adalimumab kan redusere risikoen for residiv etter kirurgi sammenlignet med placebo (26). I Storbritannia anbefaler man azathioprin og metronidazol i tre måneder etter kirurgi, og man fraråder bruk av biologisk behandling som profylakse. Her tar man også hensyn til kostnader (27). Europeiske retningslinjer har først i 2024 fått et eget punkt om medisinsk profylakse til pasienter med høy risiko for residiv på grunn av røyking, penetrerende sykdom, intra-abdominal abscess og/eller fistel (1). Bruk av thiopuriner og biologisk behandling blir foreslått.

Ved UNN Tromsø har vi valgt å gi seks måneder med biologisk behandling og tre måneder med metronidazol som profylakse til alle pasienter uten gjenværende sykdom.

REFERANSER : Se bakerst i nettutgaven på kirurgen.no

NYTT BLANDESETT FOR BCG-medac

TIL BEHANDLING AV

IKKE-MUSKELINVASIV BLÆREKREFT

KLIKK

LUERLOCK

Utvalgt sikkerhetsinformasjon

Kontraindikasjoner:

Overfølsomhet overfor virkestoffet eller overfor noen av hjelpestoffene, immunsuppresjon eller kongenitale eller akvirerte immundefekter, aktiv tuberkulose, tidligere strålebehandling av blæren, amming, skal ikke instilleres før 2 til 3 uker etter TUR, blærebiopsi eller katetertraumatisering, blæreperforasjon som kan resultere i en økt risiko for alvorlige infeksjoner i hele kroppen, akutt urinveisinfeksjon.

Advarsler og forsiktighetsregler: BCG-medac skal ikke brukes til subkutan, intradermal, intramuskulær eller intravenøs administrasjon eller vaksinasjon. Det kan representere en utfordring å skille en BCG-infeksjon fra en BCG-immunreaksjon, da symptomene innledningsvis er svært like. I motsetning til dette er en forbigående systemisk BCG-reaksjon en svært vanlig bivirkning som må differensieres. De kliniske tegnene og symptomene på begynnende BCG-infeksjon/-reaksjon er feber > 39,5 °C i minst 12 timer, feber > 38,5 °C i minst 48 timer og forverret allmenntilstand. Typiske tegn på infeksjon er utvikling av miliær pneumoni, granulomatøs hepatitt, abnormiteter i leverfunksjonstest (særlig forhøyet alkalisk fosfatase), organdysfunksjon (annet enn urogenitalsystem) med granulomatøs inflammasjon ved biopsi over tid. Ved mistanke om systemisk infeksjon må lege som er spesialist på infeksjonssykdommer konsulteres. BCG-infeksjon kan potensielt være dødelig. Infeksjon i urinveiene skal utelukkes før hver instillasjon av BCG i blæren. Hvis en inflammasjon i urinrøret blir oppdaget under BCG-behandling, skal behandlingen avsluttes inntil en igjen får negativ bakteriekultur fra urin, og behandling med antibiotika er avsluttet. Muligheten for alvorlig systemisk BCG-infeksjon med behov for anti-tuberkulosebehandling må tas i betraktning før BCG-behandlingen starter, særlig hos eldre pasienter og pasienter med nedsatt leverfunksjon. I tilfelle mistanke om systemisk infeksjon bør en rådføre seg med en lege som er spesialist på smittsomme sykdommer. BCG-infeksjon kan potensielt være dødelig.

Bivirkninger: Svært vanlige: cystitt og betennelse (granulom) i blæren, asymptomatisk granulomatøs prostatitt, forbigående systemisk BCG-reaksjon (feber < 38,5 °C, influensalignende symptomer, inkludert illebefinnende, feber, frysninger, generelt ubehag, myalgi), kvalme, hyppig vannlating med ubehag og smerte, fatigue. Vanlige: diaré, abdominalsmerter, myalgi, urininkontinens, feber > 38,5 °C.

BCG-medac, (BCG (Bacillus Calmette-Guérin) bakterier avledet fra Mycobacterium bovis-stamme), pulver og væske til intravesikalsuspensjon, ATC-kode: L03A X03. Indikasjoner: Behandling av ikke-invasiv urotelial blærekreft (karsinom): kurativ behandling av karsinom in situ. Profylaktisk behandling av rekurrens av: urotelial karsinom begrenset til mucosa: Ta G1-G2 hvis multifokal og/ eller rekurrent tumor, Ta G3, urotelial karsinom i lamina propria, men ikke i blærens muskulatur (T1), karsinom in situ. Dosering: BCG-behandling skal starte ca. 2 – 3 uker etter transuretral reseksjon (TUR) eller blærebiopsi, og uten katetertraumatisering, og gjentas med en ukes mellomrom i 6 uker. Dette bør oppfølges med vedlikeholdsterapi, i det minste for tumorer med middels og høy risiko. Refusjon: H-resept. Reseptgruppe C. Pakninger og priser: 3 sett (hettegl. + pose), 6 500,30 kr. (priser og refusjon oppdateres hver 14. dag). Basert på preparatomtale: 10.2024. medac, e-mail: info@medac.no, tel +47 90 63 81 04, Postbox 84, 1312 Slependen, Norge. Sist endret: 10/2024.

BEKKENRESERVOAR VED ULCERØS KOLITT

Til tross for store fremskritt innen medikamentell behandling av ulcerøs kolitt (UC), er kirurgi fortsatt eneste behandlingsalternativ for pasienter med dårlig respons på medikamentell behandling, især ved akutt alvorlig UC og for pasienter med UC-relatert neoplasi. Kirurgi for UC innebærer nesten alltid kolektomi. Bekkenreservoar, der tarmkontinuiteten reetableres, er et av flere alternativer for disse pasientene. Andre alternativer er permanent ileostomi, mer sjeldent kontinent ileostomi (Kocks reservoar) og ileorektal anastomose.

STIG NORDERVAL 1,2, JOHANNES KURT SCHULTZ 3,4

1 GASTROKIRURGISK AVDELING, UNIVERSITETSSYKEHUSET NORD - NORGE.

2 HELSEFAKULTETET, INSTITUTT FOR KLINISK MEDISIN, UIT NORGES ARKTISKE UNIVERSITET

3 AVD. FOR GASTROENTEROLOGISK KIRURGI, AKERSHUS UNIVERSITETSSYKEHUS

4 DET MEDISINSKE FAKULTET, INSTITUTT FOR KLINISK MEDISIN, KLINIKK FOR KIRURGISKE FAG, CAMPUS AHUS, UNIVERSITETET I OSLO KORRESPONDANSE: STIG NORDERVAL - STIG.NORDERVAL @ UNN.NO

LITT HISTORIE

Allerede i 1933 beskrev professor Rudolf Nissen en kasuistikk med anleggelse av en dobbel ileumslynge i bekkenet med ileoanal anastomose hos en 12 år gammel gutt med familiær adenomatøs polyppose (1). Imidlertid tok det lang tid før reservoarideen ble gjenopptatt av Nils Kock

i Göteborg, i form av en kontinent ileostomi (Figur 1), såkalt Kocks reservoar (2), som anses som forløperen til bekkenreservoaret. Det var først publikasjonen til Parks og Nicholls i 1978 som ble det virkelige startskuddet for bekkenreservoarkirurgien (3). I dette første pasientmaterialet, som besto av fem pasienter med ulcerøs kolitt, ble det konstruert et S-formet reservoar (figur 2a) med et 2-3 cm efferent løp som ble anastomosert til analkanalen på høyde med linea dentata. Bare en av de fem opererte pasientene oppnådde spontan tømming av reservoaret. Utsunomiya og medarbeidere publiserte to år senere de første resultatene etter anleggelse av et J-reservoar (figur 2b), som i tillegg til å være teknisk enklere å anlegge også ga pasientene mulighet til spontan tømming (4).

Det første bekkenreservoaret i Norge ble anlagt i Tromsø i 1980 av Gierckscy og Revhaug (5). I Tromsø brukte man initialt et såkalt lateralt ileumreservoar (Figur 3), der tilførende løp sys isoperistaltisk til fraførende løp (6). Man gikk imidlertid snart over til J-reservoar, som på grunn av dets enkelhet og relativt gode funksjon ble det mest valgte reservoaret både nasjonalt og internasjonalt. På 80- og 90-tallet ble det anlagt mellom 150 og 200 reservoarer årlig i Norge. Etter introduksjonen av biologisk behandling falt det årlige antallet anlagte reservoarer i Norge til om lag 50. På grunn av betydelig redusert volum ble det nedsatt en faggruppe i 2019, i regi av Norsk forening for

FIGUR 1: Kocks reservoar (copyright: Tom Øresland/Leif Hulten)

kolorektalkirurgi (NFKK). Gruppen publiserte en rapport i 2021 hvor det ble anbefalt at reservoarkirurgien skulle sentraliseres til maksimalt fem sentre, og at fjerning av gammelt reservoar med samtidig anleggelse av nytt reservoar (redo) eller konstruksjon av kontinent ileostomi kun skulle gjøres ved én institusjon (7). Denne anbefalingen ble støttet av medlemmene i NFKK under høstmøtet i 2021.

ULIKE RESERVOARDESIGN

Initialt gikk man ut fra at større reservoar var forbundet med bedre kapasitet og dermed bedre funksjon. S-reservoaret, som initialt ble benyttet ved St Mark’s Hospi

tal i London, har tre slynger av ileum (Figur 2a), mens W-reservoaret benytter fire slynger (Figur 2c). Selv om S- og W-reservoar innebærer større reservoarkapasitet med behov for færre tømninger i døgnet, forsvinner den­

FIGUR 2A: S-reservoar
FIGUR 2B: J-reservoar
FIGUR 2C: W-reservoar Illustrasjon: Stig Norderval
FIGUR 3: Lateralt reserovar ad modum Fonkalsrud (copyright: Tom Øresland/Leif Hulten)

ne fordelen over tid (8). I tillegg opplever flere pasienter med S- og W-reservoar tømningsvansker, noe som har bidratt til at J-reservoaret har befestet sin posisjon som den foretrukne konfigurasjonen (9). Ved Akershus Universitetssykehus (Ahus) har Øresland og kolleger over tid benyttet et såkalt K-reservoar, som innebærer at bakveggen sys som et J-reservoar, mens framveggen brettes fra distale slynge mot proksimalt slik at reservoaret blir kortere, men bredere enn et J-reservoar (Figur 4). Det er i en retrospektiv studie fra Ahus vist noe bedre reservoarkapasitet og funksjon med denne reservoarkonfigurasjonen sammenlignet med J-reservoar (10).

INDIKASJONER OG KONTRAINDIKASJONER

De to vanligste indikasjonene for proktokolektomi og anleggelse av bekkenreservoar er ulcerøs kolitt og familiær adenomatøs polypose (FAP). Bekkenreservoar kan også være en mulighet hos yngre pasienter med synkrone cancere i rektum og kolon.

Selv om det ikke finnes noen formell aldersgrense for når man skal avstå fra reservoaranleggelse, er det sjeldent at reservoar anlegges hos pasienter over 60 år (5). Hos kvinner må også eventuelt tidligere obstetrisk sfinkterskade sammenholdt med generelt dårligere sfinkterfunksjon postmenopausalt tas med i vurderingen. Videre kan overvekt medføre tekniske utfordringer med å få nok lengde på krøset til reservoaret, siden et fettholdig krøs blir kortere, og mange venter derfor med reservoarkirurgi til pasienten har en KMI <30. Dette er spesielt viktig hos høye

pasienter, hvor kombinasjonen med kort krøs kan føre til at man ikke klarer å få nok lengde til å anastomosere.

Reservoarkirurgi er også en opsjon hos pasienter med udeterminert kolitt. På tross av mer effektiv medikamentell behandling vurderes fortsatt Crohns sykdom som relativ kontraindikasjon for reservoarkirurgi grunnet betydelig økt risiko for perianal fistelsykdom med behov for fjerning av reservoaret, blant annet tydeliggjort i en fersk publikasjon fra Cleveland Clinic, Ohio, med oppfølging av over 5000 pasienter med bekkenreservoar (11). Bekkenreservoar kan kun vurderes hos selekterte Crohnspasienter dersom det verken foreligger tynntarmsaffeksjon eller perianal sykdom. Pasientene med udeterminert kolitt eller Crohns sykdom må informeres godt om økt risiko for både komplikasjoner og reservoarsvikt.

Det er uansett viktig at pasienter som er aktuelle for bekkenreservoar informeres så nøkternt som mulig slik at de har realistiske forventninger. Selv om de fleste som tilbys anleggelse av bekkenreservoar velger denne løsningen, ønsker noen pasienter heller permanent ileostomi framfor å måtte gå på toalettet 5-7 ganger daglig. I utvalgte tilfeller der rektum ikke er affisert av kolitt kan også ileorektal anastomose være et alternativ til reservoar, men det praktiseres sjeldent for UC i Norge. Det er viktig at aktuelle pasienter henvises til sykehus som utfører reservoarkirurgi for å bli informert om de forskjellige alternativene. Vår oppgave som kirurger er å støtte pasientene i det valget de tar, og ikke prøve å overbevise dem til det ene eller andre.

FIGUR 4: K-reservoar (copyright: Tom Øresland/Leif Hulten)

OPERASJON I EN -, TO - ELLER TRE SEANSER?

Flertallet av pasienter med ulcerøs kolitt blir operert i tre seanser, der første seanse er kolektomi med endeileostomi. Når pasienten har kommet seg, gjerne 3-12 måneder etter kolektomien, utføres proktektomi med anleggelse av reservoar og bøyleileostomi, som legges tilbake i tredje seanse etter ca. 3 måneder. Hos pasienter som er i god allmenntilstand og ikke benytter steroider, men hvor det er operasjonsindikasjon på grunn av manglende symptomkontroll, dysplasi, FAP eller cancer, kan proktokolektomi med reservoaranleggelse gjøres i samme seanse. Det er vanlig i Norge å anlegge avlastende bøyleileostomi i forbindelse med reservoarkirurgi. I et materiale fra St. Olavs hospital, publisert av Wasmuth og medarbeidere, fikk 84 % av pasientene avlastende stomi (12). Stomi kan vurderes utelatt hos pasient med lav risiko for anastomoselekkasje, så som slank kvinne i god allmenntilstand, eller der hvor det ikke er mulig å få ut en god stomi på grunn av manglende lengde på krøset. Ved både Universitetssykehuset Nord-Norge (UNN) og Ahus anlegges avlastende stomi så sant det er teknisk mulig. Verken Wasmuth og medarbeider (12) eller Sahami og medarbeidere (13) fant at avlastende stomi var assosiert med lavere anastomoselekkasjerate, mens Plietz og medarbeidere i et materiale på 584 pasienter fant signifikant færre anastomoselekkasjer hos pasienter som hadde fått avlastende stomi (14).

SPESIELLE PEROPERATIVE FORHOLD

Proktektomi: Uansett om reservoaret anlegges i samme seanse som kolektomi eller etter at kolektomi er utført, er det de samme prinsippene som gjelder. Om det ikke er mistanke om malignitet kan proktektomien utføres tarmnært eller som en modifisert total mesorektal eksisjon (TME), der man bevarer en fettpute over promontoriet og holder seg tarmnært venterolateralt for å minimere risikoen for nerveskade. Rektum skal avsettes helt distalt, ca. 1-2 cm over linea dentata. Ved avsetning høyere opp øker risikoen for tømningsvansker, i tillegg til at ulcerøs kolitt i gjenværende rektumslimhinne, såkalt «cuffitt», kan skape problemer.

Preparering av terminale ileum: Noen anbefaler at arteria ileocolica bevares ved kolektomien, ettersom det gir mulighet for å øke rekkevidden av reservoaret ved å dele ileale kar, mens andre foretrekker alltid å dele de ileokoliske karene. Tynntarmskrøset til terminale ileum dissekeres så av bakre bukvegg så langt opp man kommer mot arteria og vena mesenterica superior (AMS og VMS). Dette gir vanligvis nok lengde til at reservoaret når tensjonsfritt ned til bekkenbunnen. Som en tommelfingerregel bør nederste punkt av reservoaret rekke minst 2 cm nedenfor nedre begrensing av symfysen. Dersom det

er usikkert om lengden er tilstrekkelig kan man anlegge Z-insisjoner i peritoneum fra avgangen av AMS og videre distalt til terminale ileumslynge. Dette gir fort 2 cm ekstra lengde. Når det er avklart at krøset har tilstrekkelig lengde, anlegges reservoaret. Ved bruk av J-reservoar legges vanligvis krøset baktil, men ved utfordring med lengde kan krøset legges fortil, noe som kan gi ytterligere 1-2 cm lengde. Ved bruk av K-reservoar (Ahus) legges krøset alltid fortil. J-reservoar konstrueres ved å lage en åpning med diatermi i den slyngen av terminale ileum som gir mest lengde på krøset. Selve slyngen måles opp til ca. 15 cm, og reservoaret lages ved å benytte to GIA 80-magasin. Det er viktig å sjekke for blødning fra staplerradene på mukosasiden av reservoaret og at bakveggen er patent før hatten til sirkulær stapler sys inn. Ved K-reservoar syr man først bakveggen av to ileumslynger sammen på langs og syr in hatten til sirkulær stapler i enden av denne suturen før man syr framveggene sammen på tvers og snur reservoaret (Figur 4). Når reservoaret føres ned i bekkenet, er det viktig å påse at krøset ikke ligger rotert ved å følge krøskanten fra pankreas ned mot reservoaret, siden et torkvert krøs vil kunne gi både dårlig sirkulasjon og funksjonssvikt.

Anastomosen: Denne anlegges som regel transanalt med sirkulær stapler. Ved dysplasi i nedre rektum og ved FAP med polypper i distale rektum er det aktuelt med mukosektomi og håndsydd anastomose. En sjelden gang er det nødvendig med proktektomi hos barn som ikke er ferdig utvokst på grunn av behandlingsrefraktær betydelig proktitt, og da kan også håndsydd anastomose være eneste mulighet. Ved håndsydd anastomose må mukosa strippes av indre sfinkter fra linea dentata og ca. 1,5 cm mot proksimalt, slik at sfinkterfunksjonen ikke kompromitteres. Håndsydd anastomose er assosiert med noe dårligere funksjon i form av inkontinens og nattlig sekresjon og innebærer høyere risiko for reservoarsvikt over tid (11,15).

Til slutt anlegges en avlastende bøyleileostomi. Reservoaret skylles transanalt postoperativt for å hindre at det fyller seg med blod eller dilaterer og gir blow-out.

ÅPEN ELLER LAPAROSKOPISK TEKNIKK

Det er ikke vist noen forskjell i reservoarfunksjon eller reservoarsvikt mellom de to teknikkene (16). Ved UNN og Ahus er laparoskopisk teknikk standard. Laparoskopi er noe mer tidkrevende enn åpen teknikk, men pasientene har de generelle fordelene ved laparoskopi postoperativt. Det synes imidlertid også som at laparoskopisk teknikk reduserer risikoen for manglende evne til spontan graviditet som er sett ved åpen teknikk (17,18). På grunn av

nedsatt fekunditet er denne pasientgruppen uansett prioritert for IVF.

RESULTATER VED KIRURGI FOR BEKKENRESERVOAR

Postoperative komplikasjoner: Som ved andre anastomoser i bekkenet forekommer også postoperativ anastomoselekkasje ved reservoaranleggelse, med rapportert lekkasjerate mellom 3 % og 20 % (11-14). Postoperativ bekkensepsis uten funn av anastomoselekkasje oppstår hos 3-4 % (11,12). I tillegg kan det ved J-reservoar lekke fra den blinde enden av reservoaret. Behandling av anastomoselekkasje følger vanlige prinsipper, inkludert mulighet for bruk av endokavitær vakuum-svamp med eventuell påfølgende transanal sekundærsutur av anastomosen (19).

Funksjon: Ca. 75 % av pasientene er fornøyde med reservoarfunksjonen i årene etter operasjon og over 95 % angir at de ville gjort operasjonen om igjen om de hadde fått valget på nytt (10). Et godt resultat innebærer 5-7 gjennomsnittlig tømninger i døgnet, og pasientene må forberedes på at de må påregne en nattlig tømning. Mange av pasientene vil være avhengig av avføringsmodulerende medikamenter som loperamid i perioder eller fast for å holde akseptabel tømningsfrekvens. Noen pasienter kan oppleve soiling eller mindre lekkasjer om natten, dette gjelder særlig ved håndsydd anastomose.

Senkomplikasjoner: I større materialer opplever over 50 % av pasientene en komplikasjon som krever kirurgisk behandling (12). De vanligste er fistulering, anastomosestriktur, bekkeninfeksjon, tømningsvansker og kronisk pouchitt med påfølgende dårlig reservoarfunksjon, som i noen tilfeller kan føre til utkobling eller fjerning av reservoaret (5,11). Det er uansett viktig å henvise disse pasientene til et senter som bedriver reservoarkirurgi, ettersom mange problemer kan håndteres uten utkobling av reservoaret. Kumulativ risiko for reservoarsvikt (definert som utkoblet eller fjernet reservoar) ved ulcerøs kolitt i større materialer er ikke mer enn ca. 9 % etter 20 år (5,11,12). Vi anbefaler at alle pasienter som har fått reservoar kontrolleres regelmessig for å kunne fange opp funksjonssvikt.

ALTERNATIVER TIL BEKKENRESERVOAR

Ileorektal anastomose: Ileorektal anastomose (IRA) har blitt brukt som et alternativ til bekkenreservoar i mange år. Fordelen med IRA er at det er et vesentlig enklere inngrep. Hovedproblemet med denne løsningen er at UC vanligvis er en ascenderende sykdom der sykdommen er verst i rektum. Kobler man tynntarm til endetarmen vil proktitten som regel residivere og ofte bli uhåndterlig.

I dette tilfelle vil pasienter som ønsker en kontinent løsning måtte gjennomgå enda flere operasjoner for å ende opp med et bekkenreservoar. Samtidig kan IRA være en god (midlertidig) opsjon hos fertile kvinner med barneønske og for utvalgte pasienter med FAP hvis det er få eller ingen polypper i rektum (20). Man bør imidlertid ikke bruke denne løsningen hos pasienter med primær sklreoserende kolangitt (PSC)-relatert UC, selv om de ofte har en tilsynelatende frisk rektum. Grunnen til det er en vesentlig økt risiko for endetarmskreft hos pasienter med PSC og IRA (21).

Kocks reservoar (kontinent ileostomi): Kocks reservoar er en kontinent løsning som kan være et alternativ for pasienter der bekkenreservoar ikke er mulig eller hos pasienter som ikke ønsker bekkenreservoar. I dag er hovedindikasjonen for nytt Kocks reservoar først og fremst alvorlige hudproblemer ved ileostomi. Noen pasienter kommer imidlertid også med et ønske om Kocks reservoar fremfor et bekkenreservoar. Prinsippet for kontinent ileostomi er at man lager et ileumreservoar på innsiden av bukveggen med en ventilfunksjon konstruert av invertert tarm (Figur 1). Pasienten må da tømme reservoaret ca. fire ganger daglig ved hjelp av et kateter gjennom stomiåpningen i bukveggen. Fordelen med et velfungerende Kocks reservoar er at pasienten har full kontroll over tarmtømmingen. Ulempene er at ca. 50 % av disse pasienter har behov for reintervensjoner, hovedsakelig på grunn av sviktende ventilfunksjon, og at pasientene må holde en diett som sikrer at de får tømt avføringen gjennom kateteret. Kocks reservoar utføres etter 2021 kun ved Ahus, og aktuelle pasienter må gjerne henvises dit.

KONKLUSJON:

Bekkenreservoar er en etablert løsning hos pasienter med behandlingsrefraktær ulcerøs kolitt, samt ved enkelte andre tilstander. Kirurgien utføres ved fem universitetssykehus (Ahus, Haukeland, St. Olavs, Ullevål og UNN), mens kontinent ileostomi (Kocks reservoar) og eventuell reoperasjon med reanleggelse av nytt bekkenreservoar er anbefalt uført kun ved ett sykehus (Ahus). Selv om flesteparten av pasientene med bekkenreservoar er fornøyde med oppnådd funksjon, er reintervensjonsraten høy. Det er viktig at pasientene kjenner til alternativene ved kirurgi, og at pasienter som får anlagt reservoar følges regelmessig slik at komplikasjoner kan håndteres tidlig.

REFERANSER : Se bakerst i nettutgaven på kirurgen.no

Henvis

pasienter med prostatakreft i tide for å bremse

sykdomsprogresjon

Behandling med NUBEQA® forlenger tiden til utvikling av metastaser1-3 og forbedrer totaloverlevelsen hos pasienter med PSA doblingstid ≤ 10 måneder.1-3

Henvis høyrisikopasienter med ikke-metastatisk kastrasjonsresistent prostatakreft* og raskt stigende

PSA-nivåer til onkolog for behandling med NUBEQA.

Sikkerhetsinformasjon1

• Overvåk nøye for bivirkninger hos pasienter med alvorlig nedsatt nyre- eller leverfunksjon.

• Seponer Nubeqa permanent ved unormale leverfunksjonsprøver som tyder på idiosynkratisk legemiddelindusert leverskade.

• Sikkerhet ved kardiovaskulær sykdom siste 6 månedene er ikke fastslått; behandle klinisk signifikante tilfeller iht. retningslinjer, og vurder nytte-/risikoforhold ved QTforlengelse før oppstart med Nubeqa.

• Svært vanlige bivirkninger (≥10 %): nmCRPC og mHSPC behandlet med darolutamid: fatigue/astenitilstander, redusert antall nøytrofile, økt bilirubin, økt ALAT og ASAT.

mHSPC behandlet med darolutamid og docetaksel: hypertensjon, utslett, redusert antall nøytrofile, økt bilirubin, økt ALAT og ASAT.

• Vanlige bivirkninger (≥1/100, <1/10): nmCRPC og mHSPC behandlet med darolutamid: iskemisk hjertesykdom, hjertesvikt, utslett, smerter i ekstremiteter, frakturer.

mHSPC behandlet med darolutamid og docetaksel: frakturer, gynekomasti

Se felleskatalogtekst for mer informasjon, merk spesielt kontraindikasjoner, forsiktighetsregler, interaksjoner og bivirkninger. Basert på SPC: 07/2025.

*Ingen metastaser oppdaget ved bruk av konvensjonell bildediagnostikk. nmCRPC=ikke-metastatisk kastrasjonsresistent prostatakreft; PSA=Prostataspesifikt antigen; Referanser: 1. NUBEQA SPC 07/2025. 2. Fizazi K, Shore N, Tammela TL et al. Darolutamide in Nonmetastatic, Castration-Resistant Prostate Cancer. N Engl J Med. 2019;380:1235–1246. 3. Fizazi K, Shore N, Tammela TL et al. Nonmetastatic, castration-resistant prostate cancer and survival with darolutamide. N Engl J Med. 2020;383:1040–1049.

Det primære effektmålet i ARAMIS var metastasefri overlevelse (darolutamid 40,4 måneder vs placebo 18,4 måneder; HR:0,41; 95% CI: 0,34-0,50; P<0,001) og total overlevelse var et sekundært effektmål (HR: 0,69; 95 % Cl: 0,53-0,88; P=0,003). Sluttanalysen av overlevelsesdataene ble utført etter 254 dødsfall (148 (15 %) i darolutamid + ADT-gruppen og 106 (19 %) i ADT-gruppen (placebogruppen).

NUBEQA® (darolutamid) 300 mg filmdrasjerte tabletter. ATC-nr: L02B B06. Indikasjoner: Nubeqa er en androgenreseptorhemmer indisert til behandling av voksne menn med: 1. ikkemetastatisk kastrasjonsresistent prostatakreft (nmCRPC) som har høy risiko for å utvikle metastatisk sykdom; 2. metastatisk hormonsensitiv prostatakreft (mHSPC) i kombinasjon med androgen deprivasjonsbehandling; 3. metastatisk hormonsensitiv prostatakreft (mHSPC) i kombinasjon med docetaksel og androgen deprivasjonsbehandling. Dosering: Anbefalt dose er 600 mg (2 tabletter à 300 mg) 2 ganger daglig, tilsv. total daglig dose 1200 mg. Medisinsk kastrasjon med GnRH-analog skal fortsette under behandling hos pasienter som ikke er kirurgisk kastrert. Kontraindikasjoner: Overfølsomhet for virkestoffet eller noen av hjelpestoffene (laktose). Kvinner som er eller kan bli gravide. Forsiktighetsregler: Lever/nyre: Pasienter med alvorlig nedsatt nyrefunksjon eller moderat/ alvorlig nedsatt leverfunksjon skal overvåkes nøye mht. bivirkninger pga. forhøyet eksponering. Tilgjengelige data for pasienter med alvorlig nedsatt nyrefunksjon samt pasienter med moderat svekket leverfunksjon er begrenset. Darolutamid er ikke undersøkt hos pasienter med alvorlig svekket

Refusjon:

H-resept. For nmCRPC: Nubeqa® er førstevalg i LIS anbud 2407 Onkologi. For mHSPC med ADT: Beslutning avventes. For mHSPC med docetaksel og ADT: Nubeqa er innført når abirateron ikke er egnet. Vilkår: Behandlingen er kun aktuell for pasienter med komorbiditet som gjør abirateron uegnet, som dårlig regulert diabetes, vanskelig regulerbar hypertensjon eller levertoksisitet under abirateronbehandling.

PP-NUB-NO-0245-2, 09.2025

leverfunksjon. Behandlingen med darolutamid skal seponeres permanent ved unormale resultater av leverfunksjonsprøver som tyder på idiosynkratisk legemiddelindusert leverskade. Hjerte/kar: Sikkerhet er ikke fastslått ved kardiovaskulær sykdom de siste 6 månedene. Ved forskrivning skal pasienter med klinisk signifikant kardiovaskulær sykdom behandles for disse tilstandene iht. fastsatte retningslinjer. Ved risikofaktorer for QT-forlengelse i anamnesen og ved samtidig bruk av legemidler som kan forlenge QT-intervallet, skal nytte-/risikoforholdet vurderes, inkl. potensialet for torsades de pointes, før oppstart med darolutamid. Bruk av sterke CYP3A4- og P-gp-induktorer ved behandling med darolutamid kan redusere plasmakonsentrasjonen av darolutamid og anbefales ikke med mindre det ikke finnes andre behandlingsalternativer. Bruk av et annet legemiddel med mindre potensial for induksjon av CYP3A4 eller P-gp, skal vurderes ved samtidig administrering. Pasienter skal overvåkes med hensyn til bivirkninger av BCRP-, OATP1B1- og OATP1B3substrater, fordi samtidig administrering av darolutamid kan øke plasmakonsentrasjonen av disse substratene. Samtidig administrering av rosuvastatin bør unngås, med mindre det ikke finnes andre behandlingsalternativer. Bivirkninger: 1 og 2. Hos pasienter med nmCRPC og mHSPC behandlet med darolutamid: Svært vanlige (≥ 1/10): fatigue/astenitilstander, redusert antall nøytrofile, økt bilirubin, ALAT og ASAT. Vanlige (≥ 1/100, < 1/10): iskemisk hjertesykdom og hjertesvikt, utslett, smerter i ekstremiteter samt frakturer. 3. Hos pasienter med mHSPC behandlet med darolutamid i kombinasjon med docetaksel: Svært vanlige (≥ 1/10): hypertensjon, utslett, redusert antall nøytrofile, økt bilirubin, ALAT og ASAT. Vanlige (≥ 1/100, < 1/10): frakturer, gynekomasti. Basert på SPC godkjent av DMP/EMA: 03/2025. Konsulter preparatomtalen (SPC) for mer informasjon. Pakninger og priser: 112 stk. (blister), AUP 46.636,30 NOK, Varenr: 063426. R.gr. C, H-resept For oppdaterte priser se: www.felleskatalogen.no. Kontaktinformasjon: Bayer AS, Drammensveien 288, NO-0283 OSLO, Postboks 193, 1325 Lysaker. Tlf: +47 23 13 05 00, Faks: +47 23 13 05 01, www.bayer.no MA-NUB-NO-0005-7, 08.2025

PERIANAL CROHNS

Opptil 42 % av pasienter med Morbus Crohn utvikler perianale plager som kan gi betydelig morbiditet, redusert livskvalitet og langvarige behandlingsforløp (1). For kirurger innebærer dette en kompleks balansegang: infeksjonskontroll, medikamentell behandling av grunnsykdommen, hensyn til sfinkterfunksjonen og utfordringer med sårtilheling. Denne artikkelen ønsker å belyse diagnostiske fallgruver og kirurgiske strategier som kreves for å håndtere denne krevende pasientgruppen.

KORRESPONDANSE: ELISABETH MYRSETH - ELISABETH.JENSEN1 @ UNN.NO

BAKGRUNN

Morbus Crohn er en kronisk inflammatorisk tarmsykdom som kan ramme hele mage-tarmsystemet (2). En tredjedel av pasientene, 15-42 %, har perianal affeksjon (1,2). Perianal Crohns kan presentere seg som abscesser og fistelsykdom, ulcerasjoner, stenoser, fissurer og anale tags (1). Hos noen debuterer Crohns sykdom med perianale symptomer (3). Andre pasienter har kun perianale symptomer, uten luminal affeksjon (3). Korrekt diagnose er avgjørende, da det i tillegg til kirurgisk behandling er nødvendig å behandle grunnsykdommen. Det er derfor viktig å alltid tenke på perianal Crohns ved proktologiske problemstillinger, spesielt ved atypiske fistler eller fissurer, hvis tilheling uteblir eller plagene residiverer.

Behandlingen av perianal Crohns kan være utfordrende og representerer i mange tilfeller den mest krevende delen av sykdomsforløpet. Manglende sårtilheling ved aktiv sykdom bidrar til langvarige behandlingsforløp (4,5). Første steg er å få kontroll på infeksjonen, slik at medikamentell behandling kan optimaliseres før definitiv behandling iverksettes.

Ifølge IBD-arbeidsgruppen i Norsk forening for Kolorektal kirurgi (NFK-IBD) (oktober 2021), utgjør inngrep for perianale fistler, definert som komplisert Crohns-kirurgi, 45% av alle operative inngrep for kompleks Crohns, tilsvarende 160–190 inngrep årlig (6). Dette understreker

at perianal Crohns ofte innebærer langvarige behandlingsforløp med gjentatte kirurgiske intervensjoner, og at det er behov for god kunnskap om dette temaet hos behandlerne.

Behandling av Morbus Crohn bygger i stor grad på European Crohn´s and Colitis Organisation (ECCO) Guidelines, både når det gjelder medikamentell og kirurgisk behandling (7–9). NFK-IBD støtter disse anbefalingene, og anbefaler også strukturerte tverrfaglige IBD-møter på sykehus som behandler Crohns, samt at det også bør være gastroenterolog tilknyttet sykehus som opererer Crohns (6).

I denne oversiktsartikkelen ønsker vi å dele erfaringer og gi praktiske råd om utredning og behandling av perianal Morbus Crohn, basert på litteraturen som foreligger, ECCO guidelines, og vår mangeårige kliniske erfaring fra arbeid med denne pasientgruppen gjennom praksis som kolorektalkirurger ved Gastrokirurgisk avdeling og Bekkensenteret, UNN.

PERIANALE ABSCESSER

Perianale abscesser kan oppstå akutt eller som en komplikasjon til etablerte fistler (Figur 1). Behandlingen er kirurgisk drenasje (Tabell 1), ofte supplert med antibiotika, spesielt om pasienten er immunsupprimert eller er preget av infeksjon. Rask intervensjon anbefales for å begrense infeksjonens utbredelse og minimere risiko for

sepsis. Som for alle abscesser er det viktig å besørge optimal drenasje. Dette innebærer at hud kan ofres for å få gode åpninger, og at alle ganger og utløpere dreneres. Det er avgjørende å ha oversikt i dybden, og unngå udrenerte lokulamenter. Bruk av spekel, anoskop eller fleksibelt skop kan være nyttige hjelpemidler for å få oversikt over kaviteten og for oppnå komplett drenasje. Ved usikkerhet kan rask revisjon/«second look» være indisert.

Fistelsøk i akuttfasen er omdiskutert på grunn av risiko for å lage via falsa. Dette bør gjøres av erfaren kirurg eller proktolog, og fortrinnsvis med bruk av knoppkanyle og væske. Drenerende seton kan gi raskere infeksjonskontroll, men risiko for større skade enn nytte må alltid overveies.

PERIANALE FISTLER

Perianale fistler kan ha varierende utbredelse, beskaffenhet og kompleksitet, fra enkle hudforbindelser til mer omfattende affeksjon av bekkenstrukturer. Vi vurderer fistelens forløp gjennom sfinkterapparatet og dens kompleksitet. En simpel fistel har kun et enkelt fistelforløp, mens en kompleks fistel har flere forgreininger eller sinuser/ fistelganger. For transsfinkteriske fistler vurderes også hvor mye av eksterne anale sfinkter (EAS) som er affisert, og under 30% regnes som mindre kompleks og kan være spaltbar. Tilhørende abscesser og sårkaviteter øker også fistelkompleksiteten, likeledes beliggenhet fortil hos kvinner. For kontinuitet i behandlingen tegner vi gjerne fistelens forløp gjennom anus/sfinkter inn i 3 plan i ett fistelkart (Figur 2).

ANBEFALT STRATEGI FOR BEHANDLING AV PERIANALE FISTLER:

TRINN 1: KARTLEGGING OG

INFEKSJONSKONTROLL

Fistelens forløp og kompleksitet kartlegges best ved undersøkelse i narkose med forsiktig sondering (knoppsonde/olivensonde), anoskop eller spekel. For å skånsomt identifisere indre munning kan knoppkanyle med

FIGUR 1: Anatomisk oversikt over lokalisasjoner for perianale abscesser.

Illustrasjon: Ihor - Adobe Stock

Indre munning

Ytre munning

Forløp fistelgang

Puss/ abscess, evt lokalisasjon

(sted kl □□, □□ cm fra anus

(sted kl □□, □□ cm fra linea)

Simpel / kompleks / sinus

inter-, trans-, supra-eller ekstrasfinkterisk

Videre tiltak/plan/tidspunkt □ Seton □ Spalting □ Ny revisjon

□ Fett tx. □ LIFT □ Advancement flap

Kontrollopplegg

FIGUR 2: Fistelkart. Utdrag fra fistelkart UNN Tromsø benytter, her tegner vi inn fistelens forløp, samt avmerker viktige karakteristika

Følgende råd foreligger for kirurgisk drenasje, avhengig av lokalisasjon:

1) Perianale og ischioanale/ischiorektale abscesser anbefales drenert til hud.

2) Intersfinkteriske abscesser bør dreneres til anus, ikke via hud for å unngå å lage en transsfinkterisk fistel. Ved usikkerhet om fistelen faktisk er intersfinkterisk, kan dette verifiseres ved bruk av dedikert MR bekken eller anal ultralyd utført av erfaren operatør.

3) Supralevatoriske abscesser bør dreneres til rektum. Dette er abscesser som ikke synes ved ytre inspeksjon, og diagnostiseres radiologisk, enten med CT eller dedikert MR.

4) Hesteskoabscess dreneres med to laterale incisjoner. For å unngå «floating anus» kan setoner legges mellom abscesskavitetene slik at også større kaviteter/utløpere dreneres effektivt.

TABELL 1: Råd for drenasje perianale abscesser

væske (NaCl, H₂O₂ eller blåvann) settes via ytre munning. Abscesser dreneres, og det anlegges løs drenerende seton. Skjærende/stram seton frarådes (8). MR med dedikert fistelprotokoll er anbefalt radiologi for utredning, men mer pålitelig i kald fase.

Hvis ikke infeksjonskontroll oppnås, kan det være nødvendig med regelmessige revisjoner der fistelkanalen skrapes ren og skylles. Ytre munning kan kones ut for å bedre drenasjen, ved at man fjerner inflammert hud og subkutant vev rundt denne. Vi bruker også noen ganger Botox-injeksjon mot indre sfinkter for tensjonslette og bedre drenasje, og noen kan oppleve mindre smerter. Andre pasienter må avlastes med stomi for infeksjonskontroll (8).

TRINN 2: KONTROLL AV CROHN-AKTIVITET

Endelig fistelbehandling, inklusiv spalting, bør ikke utføres ved aktiv luminal Crohns eller proktitt, på grunn av redusert tilheling (4,8). Aktiv sykdom behandles medikamentelt i samråd med gastroenterolog. I påvente av remisjon anbefales drenerende seton for å forebygge abscessdannelse (8). De biologiske midlene som har best dokumentert effekt på tilheling ved fistelsykdom er Infliximab og Adalumimab (8).

TRINN 3: DEFINITIV FISTELBEHANDLING

Når Crohns er i remisjon og infeksjonskontroll er oppnådd (reduksjon i pussproduksjon, sammenfalt fistelgang, begynnende tilheling rundt seton), kan endelig behandling vurderes (4,9). Fettvevstransplantasjon er en metode vi ofte velger ved Crohn. Her høstes subcutant fettvev oftest fra abdomen, og fettcellene (med stamcellepotensiale) sprøytes rundt fistelen. Indre munning lukkes med en sutur. Valg av kirurgisk metode (for eksempel spalting, Ligation of Intersphincteric Fistula Tract (LIFT), advancement flap, fettvevstransplantasjon) avhenger av fistelens beskaffenhet og kompleksitet. I tillegg må man oppveie risiko for sfinkterskade mot pasientens tarmfunksjon, og compliance til annen behandling som fettvevstransplantasjon og sårstell etter en LIFT. For fettvevstransplantasjon har vi som krav at pasienten er røyk- og snusfri seks uker før prosedyren, og standard er to operasjoner med tre måneders mellomrom. Noen pasienter er fornøyd med seton som demper oppbluss av infeksjon, og for enkelte kan kronisk seton være en god løsning for infeksjonskontroll. Vi skifter den da én gang årlig.

Superficielle fistler:

Simpel spalting kan anbefales når Crohns er i remisjon.

Intersfinkteriske fistler:

Spalting anbefales når Crohns er i remisjon. Det er ingen

FIGUR 3: Crohns med betydelig fistulering. Det er anlagt multiple setoner som ledd i infeksjonskontroll før rektumamputasjon. Arkivbilde, tidligere samtykket til bruk i undervisningsøyemed.

andre kirurgiske modaliteter som egner seg for endelig behandling av intersfinkteriske fistler.

Lave transsfinkteriske fistler:

Sfinkterbevarende prosedyrer bør som hovedregel velges ved Crohns, da disse pasientene har høyere grad av funksjonsforstyrrelser grunnet diaré og urge, samt risiko for residiv av perianale plager. Når Crohns er i remisjon, er fettvevstransplantasjon et alternativ med lav komplikasjonsrate, og vi velger ofte denne metoden (10). Ved manglende tilheling eller tilgang på fettvevstransplantasjon er LIFT-prosedyren et godt alternativ (11). Spalting kan gjøres ved manglende tilheling av ovenstående prosedyrer.

Høye transsfinkteriske fistler:

Fettvevstransplantasjon velges som første behandling for disse fistlene. LIFT kan også være et alternativ, forutsatt at fistelen ikke ligger så høyt at det vanskeliggjør LIFT.

Suprasfinkteriske fistler:

Fettvevstransplantasjon velges som første prosedyre. Ved manglende tilheling kan man gjøre nytt forsøk under avlastning med stomi. Advancement flap kan også egne seg.

Anovaginale fistler

Fettvevstransplantasjon er førstelinjebehandling. Ved manglende tilheling kan pasienter henvises til Senter for gynekologiske fistler ved Haukeland, som har en annen kirurgisk tilnærming. Fremre advancement flap og LIFT kan også vurderes.

4: Crohns med perianale ulcerasjoner. Crohns med proktitt og betydelige perianale ulcerasjoner. Pasienten gjennomgår en behandlingsserie med multiple sårrevisjoner, Botox setondrenasje, samt biologisk behandling. Biologisk behandling. FIGUR 4A : Dette er utgangspunktet. FIGUR 4B : Nærbilde av et av de perianale ulcerasjoner ved behandlingsstart. FIGUR 4C. 12 måneder ut i behandlingsforløpet med tilheling av flere ulcerasjoner. Tilheling av flere ulcerasjoner. FIGUR 4D: 18 måneder ut i behandlingsforløpet. De fleste åpne ulcerasjonene har tilhelet. Foto tatt etter Botox-behandling i hud, derfor vises noen små stikk på bildet. Bilde 4a-4d er av samme pasient og trykkes etter tillatelse fra pasient.

Komplekse fistler

Komplekse fistler med bekken-, bløtvevs- eller organaffeksjon krever infeksjonskontroll som første tiltak. Drenasje med seton og abscessdrenasje inngår i dette. Definitiv kirurgi bør, som alltid ved Crohns, utføres først ved sykdomskontroll. Ofte er avlastende stomi nødvendig i kombinasjon med effektiv medikamentell Crohnsbehandling. Ved flere fistelganger med felles løp forsøkes disse forent der det er mulig. Separate løp kan behandles atskilt med spalting, fettvevstransplantasjon eller LIFT, tilpasset hver enkelt fistel. Før eventuell rektumamputasjon må infeksjonen være under kontroll og Crohns i remisjon (Figur 3). Ved større bløtvevsdefekter etter amputasjon kan rekonstruksjon og lappeplastikk i samarbeid med plastikkirurg være aktuelt, men dette er eget tema. Ernæring bør i tillegg optimaliseres.

Andre hensyn

Ved aktiv perianal Crohns, tidligere rektovaginal fistel eller etter proktokolektomi med ileoanalt reservoar, anbefales gravide pasienter keisersnitt (12). Hyperbar oksygenbehandling har vist effekt ved perianal Crohns, men er foreløpig ikke godkjent i Norge (13).

PERIANALE ULCERASJONER

En del pasienter med perianal Crohns utvikler smertefulle ulcerasjoner med eller uten samtidig kroniske fissurer (Figur 4a-d). Disse kan klinisk minne om klassiske fissurer, men har ofte et annet preg: De kan være bredere og dypere, strekke seg ut på perianal hud eller inn i analkanalen, ha fortykkede, inflammerte sårkanter og granulasjonsvev i bunnen. De kan også forekomme i andre lokalisasjoner enn kl. 6 og 12, og ofte være multiple.

FIGUR

Hypertoni i indre sfinkter er ikke alltid til stede, men kan oppstå sekundært til smerter, slik man ser ved klassisk fissur.

Behandling og differensialdiagnostikk

Grunnbehandlingen er effektiv medikamentell Crohnsterapi, da disse ulcerasjonene representerer Crohns-sår. Botox kan ha en viktig rolle ved å gi smertelindring og bedre sårtilheling gjennom vasodilatasjon, men er ikke tilstrekkelig alene uten biologisk behandling. I tillegg samarbeider vi med hudavdelingen som setter Botox i «gitterteknikk» som ved hidrosadenitt, samt vurderer laserbehandling og sårstell for utvalgte pasienter (14).

Pasienter med Crohns er i tillegg sårbare for utvikling av ekte kroniske fissurer, blant annet på grunn av diaréproblematikk. I disse tilfellene er det avgjørende å skille mellom Crohns-ulcerasjoner og klassisk kronisk fissur, da behandlingen er ulik. Ved påvist hypertoni i indre sfinkter og sikker klassisk kronisk fissur, kan tailored lateral sfinkterotomi (TLS) være en effektiv og varig behandling, såfremt proktitt er behandlet og Crohns er i remisjon (15). Ved TLS kuttes interne sfinkter tilsvarende fissurens lengde, slik at varig relaksasjon av sfinkter i sårområdet oppnås. Ved Crohns-ulcerasjoner alene anbefales ikke kirurgi grunnet manglende tilheling uten kontrollert grunnsykdom (5).

ANOREKTALE STENOSER OG STRIKTURER

Anorektal inflammasjon kan resultere i fibrose, arrvev og strikturer/stenoser. Dette kan gi funksjonsforstyrrelser som tømningsvansker, soiling og inkontinens. Behandlingen er gjerne medikamentell behandling kombinert med dilatasjon. Ved dilatasjon/blokking foreligger det risiko for komplikasjoner i form av perforasjon og fistuleringer, og en forsiktig og trinnvis tilnærming anbefales. For noen pasienter er det nødvendig med avlastende stomi eller rektumamputasjon.

PERIANALE SMERTER OG BEKKENBUNNSDYSFUNKSJONER/FUNKSJONSFORSTYRRELSER

Perianale smerter, kroniske bekkenbunnssmerter og funksjonsforstyrrelser er vanlig hos pasienter med Morbus Crohn og kan komme som sekvele etter inflammasjon og kirurgi perianalt. Arrvev og fibrose kan gi endrede forhold i tarmveggen med redusert bevegelighet, redusert sensibilitet og dårligere tømningsfunksjon.

Inflammasjon, infeksjoner og perianal kirurgi kan affisere sfinkterapparatet, og større ulcerasjoner kan affisere anal mukosa som spiller en viktig rolle for anorektal sensibilitet og kontinens.

Det er viktig å utelukke infeksjonsoppbluss av perianal sykdom som infeksjon (abscess/fistel), ulcerasjoner eller fissurer. Det anbefales ofte undersøkelse i narkose kombinert med radiologi, slik at korrekt behandling kan iverksettes der mulig. Tilnærmingen for de uten funn av årsak til smerter, vil være som for øvrige pasienter med kroniske bekkenbunnssmerter med fokus på konservativ behandling med fysioterapi og botoxinjeksjoner i smertepunkter.

Pasienter med Crohns har sannsynligvis en høyere forekomst av funksjonsforstyrrelser enn normalbefolkningen, men typene forstyrrelser skiller seg i liten grad fra andre pasientgrupper. Det anbefales bred og regelmessig kartlegging av bekkenbunnsfunksjonene (avføring, vannlating og seksualfunksjon) og støtte pasientene med konservativ behandling for normalisering av funksjon. Sakral nervemodulering vil være førstelinjebehandling også for pasienter med avførings- og urinlekkasje som ikke responderer på konservativ behandling (16). Hos Crohns-pasienter må man være særdeles forsiktig med perianal kirurgi, inklusiv genitalt fremfall, rektalprolaps, stenoser/strikturer og hemorroider. Grunnsykdommen må være i remisjon og fravær av proktitt må bekreftes før eventuelle inngrep vurderes (4,8,17). Kirurgisk behandling bør i hovedsak begrenses til de med betydelige funksjonsforstyrrelser og uttalte hygieniske utfordringer. Ved tvil om indikasjonen og risiko, kan pasientene drøftes på tverrfaglige IBD-møter eller Bekkensentermøter før behandling. For de aller fleste Chrons-pasienter oppnås tilfredsstillende symptomkontroll med konservativ behandling og tett oppfølging.

COMFORT DRAIN

Langtidsdrenasje av analfistler. Enkel montering med klikklås

Andre generasjons ikke-absorberbare klips – nå tilgjengelige for lukking av strukturer på 10-22 mm gjennom 10 mm trokar. Klipstengene er rette eller vinklet, 0-60°.

TRILOGY

HAL-RAR trådløs teknologi for dopplerveiledet behandling av hemoroider

NYHET

ERNÆRING OG HABILITERING VED KIRURGI FOR INFLAMMATORISK TARMSYKDOM

Habilitering, spesielt med henblikk på behandling av feilernæring, er avgjørende for vellykket utfall ved kirurgisk behandling av inflammatorisk tarmsykdom (IBD). Det er stor grad av variasjon i praksis for ernæringsbehandling av IBD-pasienter, både mellom sykehus og mellom land, på tross av evidens og de retningslinjene som ligger til grunn (1). Både The European Society for Clinical Nutrition and Metabolism (ESPEN) (2,3) og European Crohn’s and Colitis Organisation (ECCO) (4) har utarbeidet slike retningslinjer for ernæring av IBD-pasienter som for det meste er samstemte, der ECCO nylig har publisert en oppdatering med endringer vi også omtaler her.

TUVA LØLAND 1, MARTIN HAGVE 2, TRUDE R. BALSTAD 3

1 KLINISK ERNÆRINGSFYSIOLOG, ERNÆRINGSSENTERET, UNIVERSITETSSYKEHUSET I NORD - NORGE, TROMSØ

2 OVERLEGE, GASTROKIRURGISK AVDELING, INSTITUTT FOR KLINISK MEDISIN, UIT NORGES ARKTISKE UNIVERSITET, TROMSØ

3 KLINISK ERNÆRINGSFYSIOLOG, KREFTKLINIKKEN, ST. OLAVS HOSPITAL, TRONDHEIM

KORRESPONDANSE: MARTIN HAGVE - MARTIN.IVERSEN.HAGVE @ UNN.NO

KATABOLISME, AKUTT SYKDOM OG IBD

Pasienter med IBD har ofte ernæringsutfordringer i kombinasjon med at sykdomsaktiviteten deres metabolsk setter dem i en katabol tilstand, der behandlere bør forstå de underliggende patofysiologiske mekanismene for å kunne gi optimalisert ernæring. Såvel sykdommen i seg selv som kirurgien fører til en inflammatorisk respons og neurohormonal aktivering som gir en multiorgan-insulinresistens (Figur 1) (5). Dette reduserer evnen til å forbrenne lett omsettelig glukose i muskulaturen, øker nedbrytning av proteiner til frie aminosyrer, og tømmer energilagrene i leveren ved å bryte ned blant annet glykogen og ved å produsere glukose fra andre substrater. Praktisk sett fører denne katabole tilstanden til et netto proteintap samtidig som for eksempel muskulatur ikke uten videre er mottagelig for å forbrenne for eksempel

karbohydrater i like stor grad. Både tidspunkt, administrasjonsvei, varighet og opptrapping er avgjørende for å lykkes. Med disse patofysiologiske mekanismene i mente, så har behandlere en større forutsetning for å forstå for eksempel at ved feil bruk av parenteral ernæring (PN) klarer ikke pasienten å nyttiggjøre seg av energien og for mye kan potensielt være skadelig, mens for eksempel økt mengde av proteiner kan være anabolsk gunstig for pasienten.

VURDERING AV UNDERERNÆRING HOS IBD - PASIENTER   IBD-pasienter har ofte ernæringsutfordringer som både påvirker næringsopptak og -inntak, og risikoen for sykdomsrelatert feilernæring er stor, som regel på grunn av underernæring. Vi vet at underernæring blant annet gir økt risiko for komplikasjoner etter kirurgi, øker liggetid

Glykogenlagre

Glukoneogenese

Glukosefrigjøring

Frigjøring av FFA

Inflammasjon

Glukoseopptak

Proteinnedbrytning

Fettforbrenning

Glukoseopptak

Glukoseoksidasjon

= inflammasjon

LEVER

Insulin resistens

FETTVEV

Insulin resistens

MUSKEL

Insulin resistens

FIGUR 1: Kirurgi og inflammasjon fra syk tarm hos IBD-pasienter frigjør inflammasjonsmediatorer som gir en multiorgan-insulinresistens som er hovedkjennetegnet ved den katabole tilstanden til pasientene. Muskulatur reduserer forbrenningen av glukose og øker fettforbrenningen, mens proteiner brytes aktivt ned. Fettvev frigjør frie fettsyrer samt forsterker inflammasjonsresponsen. Leveren tømmer energilagrene og frigjør fritt glukose, hovedsakelig i form av nedbrytning av glykogen og øker egenproduksjonen av glukose gjennom glukoneogenese. (Figur laget av Martin Hagve)

på sykehus og gir lavere livskvalitet (6,7). Det er derfor viktig å kartlegge om pasientene er i risiko for underernæring, særlig før kirurgi, og sette i gang tiltak tidlig for å øke næringstilførselen dersom det er nødvendig. Det brukes derfor screeningverktøy for å kartlegge risiko for underernæring, og pasienter med risiko skal ha en individuell ernæringsplan. Det finnes dog mange slike screeningverktøy uten at det er noen uniform faglig enighet eller evidens for det mest optimale verktøyet. Screeningverktøyene tar hensyn til forskjellige risikofaktorer relatert til underernæring som er vist å forverre utfallet for pasienten, der vekttap over tid trolig er den viktigste risikofaktoren (8). Andre faktorer som sykdomsaktivitet, appetitt, kvalme og BMI inngår ofte også. Albumin er ikke uvanlig brukt i klinisk praksis, og lav albumin i fravær av annen årsak (som leversvikt, nyresvikt eller

alvorlig væskeimbalanse) kan riktignok indikere alvorlig underernæring (3). Likevel kan IBD-pasienter være underernært med normal albumin (>30 g/L), og albumin har heller ingen plass i vurderingen av om ernæringsintervensjon fungerer, slik at klinisk konsekvens av å vektlegge albumin er lav. Hvilke faktorer som er mest egnet for vurdering av underernæring og i hvilken kombinasjon, har ingen tydelig evidens eller enighet. IBD-pasienter i aktiv sykdomsfase er imidlertid svært katabole og ved rutinemessig screening bør et verktøy som inkluderer sykdomsaktivitet brukes. Internasjonalt er det anbefalt at alle pasienter med IBD jevnlig blir ernæringsscreenet uavhengig av sykdomsaktivitet og plan om kirurgisk behandling. I Norge anbefaler nå Helsedirektoratet verktøyet Malnutrition Screening Tool (MST) for alle pasienter. Ettersom MST blant annet ikke tar høyde

“Det anbefales at alle pasienter med IBD blir jevnlig ernæringsscreenet”

for akutt sykdom, erfarer vi at mer omfattende screeningverktøy og ernæringskartlegginger er mer egnet for oppfølging av IBD-pasienter. Ved aktiv sykdom og særlig i forbindelse med kirurgi er korrekt vurdering av underernæring avgjørende, og da kan det stilles spørsmål om ernæringsscreening har en verdi eller plass i vurderingen i det hele tatt. IBD-pasientene er såpass sårbare for underernæring at det er gode argumenter for at alle pasienter planlagt for kirurgi bør få utarbeidet en individuell ernæringsplan i samråd med klinisk ernæringsfysiolog både før og etter inngrepet.

ERNÆRINGSVEI OG STRATEGI

Selv om underernæring er sterkt assosiert med dårligere utfall, er ikke evidensen for at en ernæringsintervensjon før kirurgi kan bedre utfallet like god. Det er heller ikke etablert hva som er mest optimale strategi, eller hvor lenge man eventuelt skal utsette kirurgi. For kirurgiske pasienter finnes ingen definitive randomiserte studier, dog en metaanalyse med over 1000 pasienter der de som fikk preoperativ ernæring (enteralt eller TPN) hadde en samlet komplikasjonsrate på 20 %, mot 60 % i gruppen som ikke fikk preoperativ ernæringsstøtte (9). Den typiske anbefalingen fra ESPEN og ECCO er at en preoperativ intervensjon bør vare minimum 10-14 dager. Anbefalingen bygger hovedsakelig på data for kreftpasienter der behovet for kirurgi kan være mer akutt, og IBD-pasienter er en pasientgruppe der man potensielt kan tillate seg å vente lenger med kirurgi. På bakgrunn av pasientens katabole tilstand vil ikke pasientene klare å bygge seg opp like raskt og dermed vil effekten av en ernæringsintervensjon sannsynligvis ta noe lengre tid. Det bør derfor vurderes seks til åtte uker med medisinsk ernæring om mulig, hvilket også støttes av retningslinjer (3,4).

Som for alle kirurgiske pasienter er oral og enteral tilgang, for eksempel med ernæringssonde, foretrukket så

lenge det ikke foreligger kontraindikasjoner eller ulemper. Dette kan være for eksempel en høy og komplisert fistel, ileus, høy stomioutput eller ved buk-katastrofer/ åpen buk der man anser at enteral ernæring (EN) forverrer tilstanden. Samtidig er tarmen selv et organ som i stor grad ernæres via eget opptak av EN og for IBD-pasienter kan den ernæringen tarmen mottar ha direkte effekt på å sette pasienten i en anabol tilstand. Dette kompliseres ved IBD da tarmen selv er utgangspunktet for sykdommen, men EN er likevel anbefalt. Bruk av total parenteral ernæring (PN) i det henseende av å gi tarmhvile for tilheling har vært en konsensus i tidligere tider, men har likevel lite evidens for å være fordelaktig for pasientene og er noe de fleste har gått bort fra i dag. Ved alvorlig underernæring er direkte oppstart med PN anbefalt under visse forutsetninger, også fremfor å avvente eventuell effekt av EN dersom det er usikkert om dette fører frem i påvente av kirurgi (2,3). Det er dog viktig å ikke tilføre pasienten for mye næring for fort, da den katabole tilstanden kan føre til at pasienten ikke klarer å nyttiggjøre seg av ernæringen, spesielt ved PN (5). Ved bruk av parenteral ernæring til alvorlig underernærte IBD-pasienter, er det viktig å kartlegge risiko for og forebygge reernæringssyndrom. Dette gjøres ved at elektrolytter, inkludert fosfat og magnesium bør monitorers jevnlig (og korrigeres), spesielt i oppstartsfasen. Det er viktig å være observant på at redusert opptak (som ved diaré) også utgjør en risiko i tillegg til vekttap, BMI og redusert matinntak.

Energibehovet kan være økt i aktiv sykdomsfase, men få studier har sett på pasientenes faktiske behov. IBD-pasientene kan ha høyre basal energiomsetning ettersom de er i katabol fase, men det er også sannsynlig at de har tilsvarende lavere aktivitetsnivå, slik at anbefalt energiinntak er derfor 100 % av utregnet behov, som ved bruk av prediktiv likning typisk regnes ut til 25-30 kcal/kg/døgn.

TABELL 1: Hovedpunkter for ernæring ved inflammatorisk tarmsykdom (IBD)

Alle IBD pasienter ernæringsscreenes og pasienter i risiko for underernæring bør få en individuell ernæringsplan.

Ernæringsintervensjon bør være minimum 10-14 dager før kirurgi og kan med fordel forlenges til 6-8 uker om mulig.

Oral og enteral ernæring bør alltid forsøkes først. For alvorlig underernærte pasienter eller om det er usikkerhet om man oppnår tilstrekkelig behov med enteral ernæring kan man begynne direkte med parenteral ernæring

Pasienter bør fullernæres med veiledende 25-30 kcal/kg/dag.For utvalgte pasienter bør behovet beregnes med indirekte kalirometer

For pasienter med alvorlig underernæring bør behandlere være oppmerksom på reernæringssyndrom og elektrolytter som fosfat og magnesium bør følges

For IBD-pasienter med aktiv sykdom anbefales et høyere proteininntak på 1-1.5 g/kg/dag

Bruk av eksklusiv enteral ernæring har vist å gi sykdomsremisjon hos barn og voksne og bør få en større plass i behandling av IBD-pasienter

Ingen spesifikk diett eller kosthold har vist å være mer gunstig for IBD-pasienter og normalt sunn kost er anbefalt.

For utvalgte pasienter med tarmsvikt kan aktiv enteroklysebehandling og behandling med GLP-2 analoger være et alternativ.

Det mest presise vil være å måle pasientene sitt energiforbruk i hvile med et indirekte kalorimeter, og dette anbefales i tilfeller der det er svært vanskelig å vurdere behov (3). Dette gjelder blant annet pasienter med veldig høy eller veldig lav kroppsvekt. Det er dog få i dag som har et slik instrument tilgjengelig i en klinisk hverdag, og i praksis bør man følge med på vektutvikling for å vurdere ernæringseffekt.

ERNÆRINGSSAMMENSETNING OG SPESIFIKKE DIETTER

Ernæring er ikke bare viktig for å gi tilstrekkelig energi, men kan også være en del av behandlingen til pasienter med Crohns sykdom. Bruk av eksklusiv enteral ernæring (EEN) kan administreres med ulike protokoller, men er enkelt forklart ofte seks til åtte uker med inntak av kun flytende næring i form av næringsdrikker eller enteral ernæring. EEN har meget oppløftende vist å kunne indikere remisjon på lik linje med medikamentell behandling, spesielt hos barn, i tillegg til at man unngår negative bivirkninger av for eksempel steroider (10,11). Virkningsmekanismen bak EEN er sammensatt og ikke helt klarlagt, men er vist å ha positiv effekt på tarmens mikrobiom, bevare tarmens barriereintegritet og kan positivt påvirke inflammasjonsaktivering (10). Det er i dag anbefalt å bruke EEN som førstelinjeterapi til barn, men vi erfarer at det er lokale forskjeller på varigheten av dietten og om den kombineres med steroider eller ikke. Selv om seks til åtte uker er anbefalt, er det viktig å ta hensyn til hvert enkelt barn, da en streng diett over tid kan føre til forstyrret spiseatferd. EEN brukes derfor ofte i en kortere periode, før overgang til dietten Crohns Disease Exclusions Diet (CDED), med gradvis overgang fra flytende næring til normalt kosthold, med visse restriksjoner. Hos voksne er imidlertid EEN mindre brukt, men nylig oppdaterte ECCO retningslinjer anbefaler EEN også til voksne på bakgrunn av at noen studier nå har vist tilsvarende effekt som hos barn (10). Vi mener derfor at

EEN burde få større oppmerksomhet hos behandlere av også voksne pasienter med Crohns sykdom i Norge. Det er fremdeles noe mangel på evidens og mange studier viser dårlig compliance. Det er derfor viktig at pasienten selv er motivert for gjennomføring av dietten og har tett oppfølging fra lege og klinisk ernæringsfysiolog som har bred erfaring med IBD og EEN underveis. For pasienter med ulcerøs kolitt er EEN og CDED ikke anbefalt.

For pasienter som ikke er i aktiv sykdomsfase anbefales et normalt, sunt kosthold i tråd med Helsedirektoratets kostråd, uten strenge restriksjoner. Likevel er det mange som reagerer på ulike matvarer med IBS-lignende symptomer, og derfor begrenser inntaket av disse (12,13). Ved IBS brukes ofte lavFODMAP-dietten, men ulike studier viser motstridende resultat på effekten av lavFODMAP til IBD-pasienter (13). Ved strenge kostrestriksjoner over tid, uten tilskudd, er det sannsynlig at inntaket av mikronæringstoffer blir for lavt, spesielt av kalsium og vitamin D, siden mange utelater meieriprodukt fra kostholdet (12). Behovet for tilskudd av kalsium og vitamin D styrkes ytterligere ved eventuell steroidbehandling. Vi støtter derfor ESPEN sin anbefaling om jevnlig oppfølging av mikronæringstoffer hos disse pasientene, spesielt de som har kostrestriksjoner og er under medikamentell behandling.

Økt inntak av essensielle aminosyrer kan være fordelaktig for å aktivere en mer anabol metabolisme. Dette, i tillegg til eventuell steroidbehandling og for å promotere tilheling etter kirurgi, gir grunnlag for å anbefale et høyt proteininntak til pasienter i aktiv sykdomsfase, spesielt før og etter kirurgi. Det er anbefalt 1,2-1,5 g/kg/dag i denne fasen, og 1 g/kg/dag for pasienter i remisjon (3). Det bør bemerkes at skal man oppnå et slikt proteinmål må man ha fokus på inntak av proteinrike matvarer til alle måltid og/eller proteintilskudd. Når det gjelder næringsdrikker

FIGUR 2: Reintroduksjons-enteroklyse gjøres ved at man setter innhold fra tilførende løp, gjerne fra stomiposen, tilbake til et fraførende løp eller en fraførende fistel via et kateter. Dette kan pasienten lære å gjøre selv, eller få hjelp til av helsepersonell. Enteroklyse settes både for at ernæring, væske og salter kan reabsorberes i utkoblet tarm, men stimulerer også tarmen til opprettholdelse av naturlig funksjon. Enteroklyse kan også brukes kortvarig i forkant av stomitilbakelegging for å gjenopprette tarmfunksjon i utkoblet løp. (Figur laget av Martin Hagve, med tillatelse fra pasienten)

Ernæring

FIGUR 3: Glukagon-like peptide 2 (GLP-2) er et naturlig intestinalt hormon som produseres i enteroendocrine L-celler hovedsakelig i ileum. Ernæringsinntak stimulerer frigjøring og GLP-2 som så aktiverer GLP-2 reseptor og stimulerer vekst av tarmtotter, absorbsjonsevne, adaptasjon og har antiinflammatoriske egenskaper. GLP-2 analoger er godkjent behandling for korttarmsyndrom. (Figur av Takeda og modifisert av Hagve med tillatelse)

og enteral ernæring bør høy-protein løsninger brukes, men det presiseres at også energibehovet må dekkes for å optimalisere anabolismen.

TARMSVIKT

Tarmsvikt er en diagnose som får lite oppmerksomhet, men er veldig alvorlig for dem det rammer. Tarmsvikt kan være funksjonell, men korttarmsyndrom står for 75 % av tilfellene (14). Tilstanden oppstår når det er en reduksjon i tarmfunksjon som fører til at minimumskravet for absorpsjon av næring, væske og elektrolytter ikke er opprettholdt, som i praksis ofte innebærer tynntarm kortere enn ca. 150-200 cm. Tidligere var Crohns sykdom den vanligste årsaken til korttarm-syndrom, men grunnet de store fremskrittene man har sett innenfor medisinsk behandling, utgjør de i dag kun ca. 20 % nye tilfeller. Likevel inkluderer porteføljene trolig flest pasienter med Crohns sykdom som grunnlidelse, da man ikke skal langt tilbake i tid der disse fikk mer omfattende kirurgisk behandling (14). De aller fleste av disse har tarmsvikt grunnet korttarmsyndrom, men noen har det grunnet persisterende tarmfistler.

I land med større volum har disse pasientene blitt sentralisert til egne tarmsvikt-enheter. Med Norges lave volum, og utfordrende geografi er ikke dette opplagt en bærekraftig løsning, men selv om pasientgruppen er liten mener vi det er gunstig å ha et sentralisert tilbud i regionen med et dedikert team bestående av blant annet gastromedisiner, kirurg, ernæringsfysiolog og stomisykepleier for en helhetlig behandling. Vi har god erfaring med dette gjennom en dedikert tarmsvikt-poliklinikk og ser blant annet at Danmark i større grad har lykkes med et slikt helhetlig tilbud. Behandling innebærer tett oppfølging av elektrolytter og væskebalanse, optimalisering av kost og medisinsk ernæring, og håndtering av høy output-stomi. Utover vanlige tiltak her gir en slik poliklinikk for eksempel mulighet til å drive aktiv reintroduksjons-enteroklysebehandling. Dette innebærer å sette tarmens innhold fra et tilførende løp, tilbake i et fraførende løp (Figur 2). Dette kan være ved for eksempel en høy stomi eller ved en høy fistel, der tilførende løp har høy produksjon og innkoblet tarm har lite ernæringsopptak. Utfordringen ved enteroklyse er at det kreves høy motivasjon hos pasient og kan være betydelig ressurskrevende for helsepersonell ved langvarig behandling. Det finnes kommersielle pumper som automatisk kan pumpe innhold fra en

stomipose til et kateter beliggende i fraførende løp som kan være aktuelt for pasienter med varig tarmsvikt, som har særlige utfordringer.

For utvalgte pasienter med varig tarmsvikt og behov for PN, har behandling med GLP-2 analog vist å bedre ernæringsopptaket ved å blant annet stimulere vekst og morfologi av tarmtottene (Figur 3). I studier har behandling vist å redusere behovet for PN (15). Behandlingen er kostbar og dette må veies mot nytte for hver enkelt pasient. Medikamentell behandling er nylig godkjent i Beslutningsforum for pasienter med PN under visse kriterer, og vi ønsker å gjøre kollegaer oppmerksom på dette.

PREHABILITERING OG FYSISK AKTIVITET

Utover optimalisering av ernæring anbefales det å redusere steroidbruk før kirurgi (16). Bruk av for eksempel biologisk behandling kan aksepteres, og studier viser at pågående biologisk behandling ikke øker sjansen for postoperativ komplikasjon (16). Tett samarbeid med gastroenterologer er viktig her. Tiltak som røykeslutt og jerntilskudd er detaljer som er viktige for alle kirurgiske pasienter, men for en IBD-pasient er alle optimaliseringer avgjørende for et vellykket kirurgisk utfall og etablering av tarmkontinuitet. Prehabilitering med fysisk trening burde være et åpenbart tiltak for å bedre utfallet for kirurgiske pasienter generelt, men vi erfarer at det er først nylig at det har blitt et reelt klinisk fokus på dette i Norge. Oss bekjent finnes det heller ingen studier som kan vise til dette hos IBD pasienter, hverken i det hensende bedre remisjon eller som prehabilitering for kirurgi, men det pågår randomiserte studier og vi tror viktigheten av prehabilitering med fysisk aktivitet for kirurgiske pasienter og IBD-pasienter vil bli langt mer fokusert på i fremtiden.

REFERANSER : Se bakerst i nettutgaven på kirurgen.no

MEDIKAMENTELL BEHANDLING AV INFLAMMATORISK TARMSYKDOM

Inflammatorisk tarmsykdom (IBD) omfatter ulcerøs kolitt (UC) og Crohns sykdom (CD). I tillegg brukes betegnelsen uklassifisert IBD (IBD-U) når en sikker klassifisering ikke er mulig ved diagnose. Hos en andel av disse vil bildet klargjøres senere i forløpet. Genetiske studier viser betydelig overlapp mellom UC og CD, noe som illustrerer at skillet delvis er kunstig og at fenotypene kan gli over i hverandre (1). Innenfor både UC og CD er det stor heterogenitet i fenotype og sykdomsforløp, hvilket krever individualisert behandling. Til tross for en terapeutisk revolusjon de siste to tiårene vil fortsatt om lag 9–15 % av pasienter med UC og omkring 38–47 % av pasienter med CD trenge kirurgi innen ti år etter diagnose (2, 3). Pasienter med IBD kan således møte både gastroenterologer og kirurger i løpet av sykdomsforløpet. For kirurger som tidvis har behandlingsansvaret, er kjennskap til moderne medisinsk behandling nyttig for risikovurdering, timing av kirurgi og realistiske forventninger til hva som kan oppnås med medikamenter.

KAY- MARTIN JOHNSEN, RASMUS GOLL, EYVIND PAULSSEN

SEKSJON FOR FORDØYELSESSYKDOMMER, MEDISINSK KLINIKK, UNIVERSITETSSYKEHUSET NORD - NORGE

KORRESPONDANSE: KAY- MARTIN JOHNSEN – KAY- MARTIN.JOHNSEN @ UNN.NO

BEHANDLINGSPRINSIPPER

Det er økende fokus på en «treat-to-target»-strategi, slik det er formulert i STRIDE-II-konsensus (Selecting Therapeutic Targets in Inflammatory Bowel Disease). Dette innebærer en målsetting om ikke bare å oppnå symptomkontroll, men også endoskopisk og helst histologisk remisjon. For å nå dette kreves regelmessig monitorering og justering av behandlingen (4). Ved CD kan selv lavgradig, vedvarende inflammasjon gi komplikasjoner over tid, som strikturer og fistler, hvilket taler for tidlig og effektiv kontroll av inflammasjon (5). Både «step-up» og «top-down» tilnærming benyttes (Figur 1): «Step-up» ved UC starter typisk med mesalazin (5-ASA) ved mild sykdom, steroider ved oppbluss eller alvorlig sykdom ved debut og opptrapping til immunmodulator eller målrettet (biologisk og småmolekylær) behandling ved utilstrekkelig effekt. «Top-down» innebærer tidlig målrettet behandling hos pasienter med høy risiko for alvorlig forløp. I CD viste PROFILE-studien at tidlig behandling med anti-TNF antistoff (infliksimab) hos høyrisikopasienter forbedret utfallet (6). For UC peker konsensus i samme retning, at man har mindre toleranse for vedvarende endoskopisk aktivitet og raskere eskalering ved manglende respons (4).

MEDIKAMENTKLASSER OG PERIOPERATIV HÅNDTERING

5-aminosalicylat (5-ASA, mesalazin)

5-ASA er grunnsteinen ved mild til moderat UC. Kombinasjon av peroral og rektal administrasjon gir best effekt ved distalt utbredt sykdom. Effekten ved CD er svak, og preparatet brukes sjeldnere der – ofte bare når man er usikker på klassifikasjon (UC vs. CD) tidlig i forløpet. Selv hos UC-pasienter som får intensiv målrettet behandling, kan residiverende proktitt være utfordrende; her har rektal 5-ASA fortsatt en klar plass som tillegg for å nå slimhinneheling (4). Perioperativt er 5-ASA trygt og behøver ikke seponeres.

Glukokortikoider

Systemiske steroider (prednisolon, metylprednisolon) brukes helst kortvarig for å indusere remisjon ved moderate eller alvorlige oppbluss. Budesonid har lavere systemisk biotilgjengelighet: ved CD er formuleringen rettet mot terminalt ileum/høyre kolon (3 mg-kapsler), mens budesonid-MMX er designet for frisetting i tykktarmen ved UC (9 mg-tabletter). Budesonid har begrenset rolle ved komplisert/alvorlig CD og viser moderat effekt ved UC (særlig ikke-pankolitt); data tyder på best respons i

mild til moderat sykdom og hos ikke-mesalazin-refraktære (7-9). Perioperativt øker høye steroiddoser risikoen for infeksjon og forsinket sårtilheling. Akutt kirurgi skal ikke utsettes på grunn av steroidbruk, men ved elektive inngrep bør man om mulig trappe ned til < 20 mg prednison-ekvivalent. Langvarig steroidbruk kan nødvendiggjøre perioperative «stressdoser» for å forebygge binyrebarksvikt. Globalt har steroidforbruket ikke falt i samme takt som forventet etter introduksjonen av målrettede terapier, noe som understreker behovet for tidlig kirurgisk vurdering ved behandlingssvikt for å unngå kumulativ steroidbelastning (10).

Immunmodulatorer (IMIDs: azatioprin, 6-merkaptopurin, metotreksat)

Tiopuriner har i flere tiår vært sentrale som vedlikeholdsbehandling (ofte etter steroidinduksjon) eller i kombinasjon med anti-TNF for å redusere antistoffdannelse mot behandlingen. Azatioprin er et pro-drug som omdannes til 6-merkaptopurin (6-MP), så hos pasienter som ikke tåler azatioprin, kan 6-MP forsøkes (11-13). Effekten ved monoterapi er moderat og inntrer langsomt og tiopuriner egner seg ikke til induksjon av remisjon ved aktiv syk­

dom (14). Oppdagelsen og utviklingen av tiopuriner ble tildelt Nobelprisen i fysiologi/medisin i 1988, men med fremveksten av målrettede behandlinger har IMIDs fått en noe mindre plass. Hos eldre (≥ 60–65 år) må oppstart vurderes særlig kritisk grunnet økt risiko for infeksjon og lymfoproliferative tilstander (15). Perioperativt kan IMIDs som hovedregel videreføres; infeksjonsrisikoen påvirkes mer av samtidig høydose steroider og aktiv inflammasjon enn av tiopurinet i seg selv. Genetisk testing på enzymet som er sentralt i metabolismen av tiopuriner (TPMT/NUDT15) kan være nyttig i forkant av behandlingen, og monitorering av metabolitt-nivå (6-TGN, MMP) bør gjøres regelmessig mens behandlingen pågår, men dette er støtteverktøy og erstatter ikke klinisk oppfølging (13, 16).

Metotreksat kan være et alternativ til tiopuriner der disse ikke tolereres eller av annen grunn ikke kan brukes. Her er det ingen tilgjengelig monitorering av metabolitter. Metotreksat brukes sjelden ved UC, og da primært for å hindre anti-stoffdannelse mot biologisk behandling.

FIGUR 1: «Step-up» behandling ved ulcerøs kolitt.

Målrettet behandling (biologiske og småmolekylære legemidler)

De siste to tiårene har målrettet behandling for IBD endret sykdomsforløpet og redusert behovet for kirurgi hos mange pasienter. Legemidlene virker mer spesifikt på sentrale signalveier i betennelsesprosessen, i motsetning til den brede immunsuppresjonen som sees med steroider og tiopuriner (Figur 2). Gruppen omfatter både biologiske legemidler (legemidler som er fremstilt i biologiske systemer, som oftest antistoffer rettet mot spesifikke proteiner), som gis som injeksjon eller infusjon, og nyere småmolekylære legemidler som tas peroralt.

Før oppstart anbefales en sikkerhetsvurdering med screening for latent tuberkulose (IGRA og ved behov røntgen thorax), hepatitt B (HBsAg, anti-HBc, anti-HBs), hepatitt C, syfilis og HIV, samt gjennomgang og oppdatering av vaksinasjonsstatus. Levende vaksiner skal ikke gis etter at immunsuppresjon er startet (17). Varicella-/zoster-immunitet bør vurderes ved usikker anamnese. Den rekombinante herpes zoster-vaksinen kan være aktuell, men

manglende generell refusjon i Norge kan begrense bruken. Den bør allikevel vurderes hos pasienter med høy risiko.

Blant tilgjengelige midler i Norge er anti-TNF (infliksimab, adalimumab, golimumab), anti-integrin (vedolizumab), anti-IL-12/23 (ustekinumab), rene anti-IL-23-hemmere (risankizumab), Janus-kinase-hemmer (JAK) (tofacitinib, upadacitinib, filgotinib) og S1P-modulator (ozanimod, mirikizumab, etrasimod). Vedolizumab har tarmselektiv virkning og en gunstig sikkerhetsprofil (18). JAK-hemmere og S1P-modulator er småmolekylære medikamenter, som kan tas som tabletter og har kortere halveringstid enn biologiske midler, noe som kan være en fordel ved behov for rask seponering, for eksempel ved kirurgi. JAK-hemmere er assosiert med økt risiko for herpes zoster, og vaksinasjon eller risikovurdering er derfor spesielt viktig (19, 20).

Direkte sammenligninger mellom de ulike målrettede legemidlene er få. I UC viste VARSITY-studien at vedoli­

FIGUR 2: Virkningsmekanisme for biologiske og småmolekylære ledemidlerl (målrettet behandling).

zumab ga høyere grad av klinisk remisjon og endoskopisk bedring enn adalimumab, men doseeskalering eller måling av serumkonsentrasjoner var ikke tillatt (21). I CD viste SEAVUE-studien ingen signifikant forskjell mellom ustekinumab og adalimumab hos pasienter som ikke hadde fått biologiske legemidler tidligere (22). Hos pasienter med CD etter terapisvikt på anti-TNF viste SEQUENCE at risankizumab ikke var dårligere enn ustekinumab ved uke 24 og risankizumab hadde bedre effekt på endoskopisk remisjon ved uke 48, men også her ble standarddoser brukt uten mulighet for intensivering (23). Valg av behandling må derfor individualiseres basert på sykdomslokalisasjon, tidligere behandlingsrespons, sikkerhetsprofil og pasientpreferanser. Dette må i Norge skje innenfor rammen av felles innkjøpsordning (TNFBIO), som angir en anbefalt rekkefølge, men åpner for avvik når kliniske forhold tilsier det. Terapeutisk legemiddelmonitorering er godt dokumentert og kan bedre effekt og varighet, men er ikke like etablert for alle de nyere legemidlene (24).

Ved kompliserte perianale fistler ved CD anbefales vanligvis anti-TNF, særlig infliksimab, kombinert med kirurgisk drenasje, ofte i form av seton. Erfaring og tilgjengelig litteratur viser at denne kombinasjonen gir best resultat. Andre målrettede alternativer som ustekinumab eller vedolizumab kan vurderes dersom anti-TNF ikke har ønsket effekt, men dokumentasjonen er svakere. For IL-23-hemmere, JAK-hemmere og S1P-modulatorer er datagrunnlaget foreløpig svært begrenset (25, 26).

For kirurger er det viktig å vite at pågående målrettet behandling i seg selv sjelden er en kontraindikasjon mot kirurgi. Postoperative utfall påvirkes mer av sykdomsaktivitet, ernæringsstatus og samtidig steroidbruk enn av denne typen legemidler. Akutt kirurgi skal altså ikke utsettes av hensyn til medikamentbruk, men ved elektive inngrep kan det være nyttig å planlegge operasjon til rett før neste dose, særlig for anti-TNF. For JAK-hemmere og S1P-modulatorer er kunnskapsgrunnlaget mindre, og vurdering bør gjøres individuelt i samråd med gastroenterolog (4, 19).

Behandlingsrefraktær IBD – hva må være avklart?

Selv om biologisk behandling har bedret prognosen betydelig, vil likevel 20–50 % av pasientene ikke ha effekt av første anti-TNF (primær non-respons), og blant dem som først responderer kan en tilsvarende andel tape effekten senere (sekundær non-respons, terapisvikt). Det finnes

ingen helt enhetlig definisjon på behandlingsrefraktær sykdom, men før en pasient vurderes som refraktær bør man sikre at behandlingen har vart lenge nok og med adekvat dosering, at sykdomsaktivitet faktisk er bekreftet klinisk og/eller endoskopisk, at legemiddelnivåer og eventuelle antistoffer er målt for relevante midler, og at infeksjon eller andre utløsende faktorer er utelukket (24, 27). Når disse forholdene er gjennomgått, kan man unngå unødvendige bytter av terapi og heller optimalisere behandlingen – eller, når det er nødvendig, vurdere pasienten for kirurgi på et riktig tidspunkt.

Medikamentell behandling av IBD har utviklet seg betydelig og har redusert behovet for kirurgi, men en del pasienter vil fortsatt ha behandlingsrefraktær sykdom til tross for moderne terapier. Tidlig identifisering av pasienter som ikke responderer, og en systematisk vurdering av årsaker til manglende effekt, er avgjørende for å kunne optimalisere behandlingen eller henvise til kirurgi på riktig tidspunkt. Noen kan være aktuelle for kombinasjon av to målrettede legemidler. Valg og optimalisering av behandling bør alltid vurderes individuelt ved komplisert sykdom. Like viktig er et tett tverrfaglig samarbeid mellom gastroenterologer og kirurger. Felles vurdering av sykdomsaktivitet, ernæringsstatus, infeksjonsforebygging og riktig timing av kirurgi.

KOMPLEKS IBD - KIRURGI

BØR HENVISES TIL ET

UNIVERSITETSSYKEHUS

WWW.KOLOREKTAL.NO

I dag finnes det ingen norske nasjonale faglige retningslinjer for behandling av inflammatorisk tarmsykdom (IBD). Det foreligger heller ingen nasjonale føringer på funksjonsfordeling i behandlingen av pasienter med IBD. Som ved flere andre benigne tilstander har pasienter med IBD heller ingen behandlingsgarantier og ledsagende rettigheter i det offentlige norske helsevesenet.

LISBETH HÅRKLAU1, SVEN-PETTER HAUGVIK 2 OG MARTIN HAGVE 3, PÅ VEGNE AV NORSK FORENING FOR KOLOREKTAL KIRURGI (NFKK)

¹ AVDELING FOR GASTRO - OG BARNEKIRURGI, OSLO UNIVERSITETSSYKEHUS

2 KIRURGISK AVDELING, DRAMMEN SYKEHUS

3 GASTROKIRURGISK AVDELING, UNIVERSITETSSYKEHUSET I NORD - NORGE

KORRESPONDANSE: MARTIN HAGVE - MARTIN.IVERSEN.HAGVE @ UNN.NO

Etter initiativ fra fagmiljøet besluttet Norsk forening for kolorektal kirurgi (NFKK) i 2019 å opprette en arbeidsgruppe for IBD-kirurgi som skulle se på videre organisering av IBD-kirurgi i Norge. Gruppen ble senere opprettet med representanter fra alle landets helseregioner, både fra lokalsykehus og universitetssykehus. Gruppens mandat var blant annet å definere hva som innbefattes av begrepene kompleks IBD-kirurgi og lage faglige anbefalinger for hvilke kriterier som bør være innfridd hos sykehus som skal drive med kompleks IBD-kirurgi.

Kompleks IBD-kirurgi er en heterogen gruppe, men ble definert som kirurgi av 1) komplekse perianale fistler ved IBD, 2) Crohns sykdom i øvre gastrointestinaltraktus, 3) Crohns sykdom med kort tarm, 4) Crohns sykdom med enteroatmosfæriske fistler, 5) Crohns sykdom med komplikasjoner etter kirurgi/åpen buk/fistler, 6) multifokal Crohns sykdom og 7) bekkenreservoar/Kocks reservoar/ revisjonskirurgi.

For sykehus som skal drive med kompleks IBD-kirurgi anbefalte gruppen følgende kriterier: 1) stor og robust gastromedisinsk avdeling, 2) regelmessige tverrfaglige IBD-møter med radiolog, gastroenterolog og gastrokirurg, og 3) tilgjengelig klinisk ernæringsfysiolog, stomisykepleier og intervensjonsradiolog.

Interessegruppen for IBD-kirurgi utarbeidet en rapport, hvor det blant annet fremkom at volumet av pasienter med kompleks IBD-kirurgi per sykehus er lav. For å ivareta størst mulig kompetanse og volum ble det derfor anbefalt at kompleks IBD-kirurgi sentraliseres til universitetssykehus under forutsetning om at nevnte kriterier

er oppfylt. Reservoirkirurgi er ytterligere begrenset til to sentre i Helse Sør-Øst og et senter i de andre helseregionene.

De fleste norske kirurgiske avdelinger utfører ikke-kompleks IBD-kirurgi. IBD-rapporten lister opp følgende anbefalinger for sykehus som utfører slik kirurgi: 1) sykehuset skal kunne tilby laparoskopisk tilgang der dette er tilrådelig, 2) sykehuset skal også gjøre elektiv tykktarmskreftkirurgi, 3) sykehuset skal ha et system for regelmessige tverrfaglige IBD-møter med radiolog, gastroenterolog og gastrokirurg, 4) alle pasienter som opereres for IBD skal drøftes i tverrfaglig møte, 5) sykehuset må ha ansatt gastroenterolog som behandler IBD, 6) ventetid for IBD-kirurgi bør ikke overstige seks uker, 7) det skal være et godt og veldokumentert opplegg for den perioperative behandlingen med utgangspunkt i European Crohn’s and Colitis Organisation (ECCO) guidelines og 8) avdelingen skal melde alle IBD-pasienter som opereres i Norsk register for gastrokirurgi (NORGAST).

NFKK har i flere år forsøkt å få sentrale helsemyndigheter til å etablere nasjonale faglige retningslinjer for behandling av IBD. Dette arbeidet har foreløpig ikke ført frem. Vi ønsker herved å benytte anledningen til å minne fagmiljøet på IBD-rapporten som ble offentliggjort i oktober 2021 (1). I påvente av nasjonale retningslinjer mener vi IBD-rapporten tjener som en nyttig veileder i behandlingen av IBD-pasienter i Norge.

REFERANSE : 1. Rapport fra IBD arbeidsgruppe. Norsk Forening for Kolorektal Kirurgi [Internet]. 2021; Available from: https://kolorektal.no/wp-content/uploads/2024/11/Rapportendelig-IBD-gruppe-v26.10.21.pdf.

STRATAFIX ™ knytefri sutur – 28 nye koder

Nå enda flere varianter av STRATAFIXTM

Vil du vite mer om våre suturer? Ring

eller besøk ortomedic.no.

Toveis STRATAFIX™ Spiral MONOCRYL™ Plus

• Antibakteriell teknologi på en større del av porteføljen

• Tilgang til flere lengder og farger

• Oppgradering av nåler med Multipass og Ethalloy

• Oppgradert forpakning med enklere åpning og bedre merking

ORBITASKADER –NÅR HASTER DET?

Orbitaskader er blant de vanligste skadene innenfor maxillofacial traumatologi og kan føre til nedsatt synsfunksjon og/eller estetiske endringer. Denne artikkelen tar for seg akutte problemstillinger knyttet til orbitaskader, inkludert orbitafrakturer, inneklemming av ekstraokulær muskulatur, retrobulbære hematomer og øyeskader. Videre beskrives hvordan disse skadene bør håndteres for å redusere risikoen for sekveler.

TINA DAHL HAGERUPA, JULI KAULA, EMIL POLLASTRI A, MATS DØVING A,B

A KJEVE - OG ANSIKTSKIRURGISK AVDELING, OSLO UNIVERSITETSSYKEHUS, ULLEVÅL

B INSTITUTT FOR ORAL BIOLOGI, DET ODONTOLOGISKE FAKULTET, UNIVERSITETET I OSLO

KORRESPONDANSE: TINA- ANITA DAHL HAGERUP, DAHL.HAGERUP @ GMAIL.COM

Orbitaskader omfatter skader i øyeregionen, inkludert frakturer, bløtvevsskader og skader på selve øyet og dets omkringliggende vev. Skadene oppstår ved traume mot orbita, for eksempel ved trafikkulykker, sportsskader eller vold. Ved mistanke om orbitaskade bør det gjennomføres en grundig anamnese og klinisk undersøkelse, supplert med relevant radiologisk undersøkelse. Den kliniske undersøkelsen ved orbitaskade bør inkludere inspeksjon av selve øyet og periorbitalt område, palpasjon av orbitaskjelettet og undersøkelse av visus, øyemotilitet og pupiller. Ved mistanke om orbitafraktur bør det rekvireres CT-ansiktsskjelett med tynne snitt (Tabell 1).

ORBITAFRAKTURER

Orbita er en benet kavitet i kraniet som omslutter og beskytter øyet og dets nærliggende strukturer (n. opticus, ekstraokulær muskulatur, fett, kar, tårekjertel, tåresekk og mindre nerver). Orbitas anatomi er kompleks og avgrenses av syv forskjellige bein som sammen danner en pyramidelignende form med basen vendt ut mot ansiktet (Figur 1). Orbitas benete strukturer deles inn i gulv, tak, lateral-, og medialvegg. Skjelettet i gulvet og medialveggen er spesielt tynt og er derfor hyppigere utsatt for frakturer (1). I tillegg har hvert øye fire rette og to skrå øyemuskler som er festet til øyets senehinne (Figur 2 og 3).

Tabell 1: Undersøkelse ved mistanke om orbitaskade: Inspeksjon

• Hevelse, hematom, kutt, sår

• Enoftalmus (innsunket øye) eller proptose (fremskutt øye) Palpasjon

Visusundersøkelse

Øyemotilitet

Pupiller

• Step i periorbitalt skjelett, krepitasjon (subkutant emfysem)

• Undersøke sensibilitet i hud (n. infraorbitalis)

• Bidigital palpasjon av bulbus

• Snellens tavle, lese liten skrift eller fingertelling/lyssans (ett øye av gangen)

• H-test, spørre om smerte ved bevegelse, dobbeltsyn og vurdere om det foreligger bevegelsesrestriksjon.

• Størrelse, form, lysreaksjon

• RAPD (relative afferent pupilldefekt) → tegn på affeksjon av n.opticus

Årsaken til at orbitafrakturer oppstår kan forklares av to teorier: den hydrauliske teorien og buckling-teorien. Ifølge den hydrauliske teorien oppstår frakturer på grunn av press mot bulbus med påfølgende trykkøkning som overføres til skjelettet. Buckling-teorien hevder derimot at trykk mot orbitakanten eller os zygomaticus gir kraftoverføring gjennom orbita, med påfølgende fraktur uten direkte trykk på øyet. Trolig kan begge forklaringsmodellene spille en rolle, avhengig av traumemekanismen (2-4).

Vanlige symptomer ved orbitafrakturer er periorbital hevelse, subkonjunktival blødning og smerte. Frakturer i

orbitagulvet fører ofte til infraorbital hypoestesi, som følge av affeksjon av n. infraorbitalis. I den akutte fasen kan dobbeltsyn oppstå på grunn av intraorbital hevelse, som medfører endret posisjon av bulbus. Dobbeltsyn kan også oppstå ved frakturer som fører til volumøkning i orbita, kjent som blowout-frakturer. Disse kan gi enoftalmus (innsunket øye) eller forflytning av øyet i kaudal retning (hypoglobus), som begge kan være estetisk skjemmende. I tillegg kan dobbeltsyn oppstå som følge av redusert bevegelighet av øyet. Dette kan skyldes tilhefting eller skade på ekstraokulær muskulatur eller annet intraorbitalt vev i nærheten av frakturender, eller som følge av skade på nerver som forsyner de ekstraokulære musklene.

FIGUR 1: Orbitas benete anatomi. Illustrert av Selma Evenstad.
FIGUR 2 OG 3: Oversikt over ekstraokulære muskler i coronal- og sagittalplan. Illustrert av Selma Evenstad.

Orbitafrakturer som har resultert i dobbeltsyn på grunn av enoftalmus (øyet synker innover i orbita), hypoglobus (øyet forflyttes kaudalt i orbita) eller redusert øyebevegelighet på grunn av tilhefting av periorbitalt vev, bør vanligvis opereres innen to uker. Ved usikkerhet om indikasjon for kirurgisk behandling kan voksne pasienter med slike funn trygt kontrolleres en ukes tid etter skadetidspunkt, uten risiko for dårligere prognose (5).

ORBITAFRAKTURER HOS BARN OG UNGE

Ansiktsskjelettet hos barn og unge er elastisk og ved traume mot orbita er det risiko for såkalt «trapdoor-fraktur» (6-8). Ved denne type fraktur vil traume mot orbita gi en forbigående dislokasjon av benet, før det gjenopptar sin opprinnelige posisjon. Dermed vil herniert intraorbitalt vev (fett, bindevev og ekstraokulær muskulatur) kunne inneklemmes i frakturspalten (Figur 4). Inkarserering av muskel kan resultere i iskemi med påfølgende fibroseutvikling og permanent dobbeltsyn (7).

Til tross for inkarserering av muskulaturen, har disse pasientene ofte beskjedne kliniske funn med fravær av hevelse. Tilstanden blir derfor også kalt «white-eye syndrome». Grundig undersøkelse av øyebevegelighet kan likevel avdekke dobbeltsyn og motilitetsbegrensninger grunnet inneklemming av ekstraokulær muskel, oftest m. rectus inferior (9). I tillegg kan inneklemmingen føre til kvalme og oppkast, bradykardi og synkope på grunn

av aktivering av den okulokardiale eller trigeminovagale refleksen (10).

Mistenkt inneklemming av ekstraokulær muskulatur ved orbitafrakturer hos barn og unge må behandles så raskt som mulig, da forsinket behandling over 24-48 timer kan gi permanent redusert øyebevegelighet og diplopi (11, 12). Tidlig diagnostikk og rask kirurgisk behandling er derfor avgjørende, spesielt fordi kontraktur av ekstraokulær muskulatur er vanskelig å korrigere sekundært (13, 14). Foretrukket kirurgisk tilgang er transkonjunktival incisjon med subperiostal frilegging av frakturen. Herniert bløtvev reponeres før man eventuelt dekker området med resorberbar plate av polydioxanon (PDS) (15).

ORBITALT KOMPARTMENTSYNDROM

Orbita- og zygomaticusfrakturer kan gi retrobulbær blødning med påfølgende intraorbital trykkstigning, såkalt kompartmentsyndrom. Dette er en akutt tilstand som oftest oppstår etter traumer, men tilstanden kan også oppstå etter øyekirurgi, ved infeksjon, tumor eller ved spontan blødning (16, 17). Antikoagulerte pasienter er særlig utsatt for kompartmentsyndrom (18).

Ved høyt trykk i orbita vil sirkulasjon i intraorbitale arterier og vener avta. Dette kan føre til irreversibel skade på netthinnen eller n. opticus. Nedsatt visus, påvirket farge­

FIGUR 4: «Trapdoor-fraktur» med inneklemt m. rectus inferior. Illustrert av Selma Evenstad.

BILDE 1: CT ansiktskjelett. A) Venstresidig zygomafraktur (ikke synlig) med tilgrensende retrobulbær blødning (markert med rød pil). B) I axialplan sees typisk konisk utseende «tenting» av bulbus hos samme pasient. Samtykke til publisering av CT-bilder er innhentet fra pasienten.

syn, smerter, frempressing av øyet (proptose), påvirket pupillerefleks, oftalmoplegi samt kvalme og oppkast kan alle være tegn på økt intraorbitalt trykk (19). Retrobulbære hematomer kan påvises av CT-undersøkelse, som også kan avdekke eventuell proptose og strekk på n. opticus (Bilde 1) (20). Tilstanden krever rask behandling, da irreversibel skade på netthinnen og synsnerven kan skje innen 60-100 minutter (21-24).

Orbita er et avgrenset rom, og lateral kantotomi og kantolyse avlaster det intraorbitale trykket ved at øyet får lov til å falle fremover (17). Inngrepet kan utføres i lokalbedøvelse og har lav risiko for komplikasjoner hvis korrekt utført. Ved manglende respons på kantotomi og kantolyse må man også vurdere å evakuere det retrobulbære hematomet (25). Dette gjøres i generell anestesi.

ØYESKADER

Øyeskader forekommer hos opp til 20 % av pasienter med ansiktsfraktur og bør derfor vurderes rutinemessig hos alle pasienter som har vært utsatt for ansiktstraume (26). Forekomsten varierer avhengig av frakturtype og traumemekanisme (27). Spesielt kompliserte frakturer er assosiert med høyere risiko for øyeskader, som kan være alvorlige og potensielt synstruende. Tidlig identifisering av øyeskader er avgjørende for å forhindre varig skade (26).

De mest vanlige øyeskadene er subkonjunktival blødning, traumatisk hyphema (blod i fremre øyekammer), samt netthinnerift og akutt vinkelblokk (trykkøkning på grunn av hindret drenasje av kammervæske) (26).

Pasienter med redusert visus, synsfeltutfall, «fluer» og lysglimt gir mistanke om alvorlig øyeskade og må konfereres akutt med øyelege. Tilsvarende gjelder også ved skader på tåreapparatet. Øvrig ansiktsskade henvises deretter til avdeling med kompetanse på ansiktstraumatologi (28).

KONKLUSJON

Orbitaskader kan gi betydelige funksjonelle og estetiske sekveler. Orbitafrakturer hos barn og unge med inneklemming av ekstraokulær muskel, orbitalt kompartmentsyndrom og alvorlige øyeskader må håndteres raskt for å hindre sekvele.

REFERANSER : Se bakerst i nettutgaven på kirurgen.no

A B

CONGENITAL DUODENAL OBSTRUCTION:

TRENDS IN TREATMENT AND PATIENT- REPORTED OUTCOMES

Det fødes 5-10 barn med medfødt duodenal obstruksjon (CDO) i Norge hvert år. CDO er en medfødt misdannelse i duodenum som nesten alltid må opereres kort tid etter fødsel for at barnet skal overleve. Nye behandlingsmetoder har blitt tilgjengelige innen nyfødtkirurgi de siste tiårene. Målet med denne ph.d.-avhandlingen var derfor å identifisere og evaluere ulike tiltak for å forbedre behandling og oppfølging av pasienter med CDO.

MARTIN ALAVI TREIDER

KIRURGISK AVDELING, BÆRUM SYKEHUS

KORRESPONDANSE: MARTIN ALAVI TREIDER – MARTIN.TREIDER @ GMAIL.COM

I artikkel 1 undersøkte vi retrospektivt pasienter behandlet for CDO ved Oslo universitetssykehus og St. Olavs hospital (Figur 1) (1). Vi fant, svært overaskende, ingen endring i dødelighet, komplikasjoner, liggetid eller varighet av intravenøs ernæring i perioden. Endringene i behandling var økt bruk av transanastomisk ernæringssonde (TAFT) og flere prenatale diagnoser. I artikkel 2 ønsket vi å studere effekten av TAFT, en nasojejunal sonde som legges gjennom anastomosen under operasjonen, i mer detalj i en subpopulasjon (Figure 2) (2). Nyfødte med TAFT som fikk intravenøs ernæring over kortere tid, startet enteral ernæring tidligere og trengte sjeldnere sentralt venekateter. Det var derimot ingen forskjell i komplikasjoner, liggetid eller tid til full ernæring. Konklusjonen var at den kliniske effekten av TAFT er usikker.

I artikkel 3 presenterte vi utvikling og implementering av en Enhanced Recovery Protocol (ERP) for nyfødte operert for CDO, samt de første resultatene etter innføring av protokollen (3). I gjennomsnitt samsvarte 80 % av behandlingen med den nye protokollen etter at den ble innført. Det var ingen økning av komplikasjoner eller andre uønskede hendelser etter innføring av ERP. Når vi sammenliknet pasientene behandlet før og etter innføring av ERP, var det en tendens til at pasientene etter innføringen fikk tidligere enteral ernæring og begynte tidligere å die. Liggetiden på sykehus endret seg ikke etter innføringen av ERP. Vi konkluderte med at ERP for nyfødte med CDO er trygt og gjennomførbart, og at de postoperative resultatene var lovende.

I artikkel 4 undersøkte vi pasientrapporterte resultater etter CDO-operasjon (Figur 3) (4). Vi fant at 38 % rapporterte betydelige gastrointestinale symptomer, særlig forstoppelse, oppblåsthet og refluks. Arrsmerter eller kosmetiske bekymringer ble rapportert av 28 %, noe som bør oppmuntre til teknikker som kan gi bedre arr. Reoperasjon for tarmslyng forekom hos 5 %, og død grunnet tarmslyng hos 0,5 %. Dette viser at tarmslyng er en alvorlig komplikasjon etter CDO, og at god informasjon til pasienter med foreldre og foresatte er viktig for rask behandling og redusert dødelighet.

Resultatene hadde endret seg lite de siste 25 årene, men innføring av ERP kan være en egnet metode for å forbedre behandlingen i fremtiden. Funnene fra langtidsoppfølging viser at man må være oppmerksom på både langvarige og akutte abdominale symptomer hos denne pasientgruppen.

MIN ERFARING MED Å VÆRE PHD - STUDENT:

Når man tar en ph.d. er det lett å bli både ensom og kjedsom. Å være en del av en forskningsgruppe med andre stipendiater og å kombinere forskning med klinisk arbeid har vært helt avgjørende for min trivsel. For å trives med å ta en ph.d. tror jeg man også bør ha grunnleggende forskningsinteresse. Hvis motivasjonen er «CV-mat», blir det noen tunge år.

REFERANSER : Se bakerst i nettutgaven på kirurgen.no

FIGUR 1: Grafisk framstilling av artikkel 1: «Congenital Duodenal Obstruction: National Trends in Management and Outcomes during the Last Quarter of a Century in Norway»

FIGUR 2: Grafisk framstilling av artikkel 2: «Is postoperative transanastomotic feeding beneficial in neonates with congenital duodenal obstruction?»

Nationwide cross-sectional study of patients previously undergoing surgery for Congenital Duodenal Obstruction

Mean age at follow-up 13.3 years n=74

FIGUR 3: Grafisk framstilling av artikkel 4: “Gastrointestinal Quality of Life After Congenital Duodenal Obstruction Repair: A Nationwide Long-term Follow-up Study”

REISEBREV FRA WROCLAW

Øsofagusatresi er en sjelden medfødt tilstand som opereres i nyfødtperioden. Tradisjonelt har operasjonen blitt gjort via torakotomi. Torakoskopisk operasjon blir stadig mer utbredt, men er teknisk krevende.

HENRIK RØKKUM

BARNEKIRURGISK AVDELING, OUS ULLEVÅL

KORREPONDANSE: B26425 @ OUS - HF.NO

Professor Dariusz Patkowski ved Wroclaw University of Medicine i Polen er blant de mest fremtredende barnekirurgene internasjonalt når det gjelder torakoskopisk operasjon for øsofagusatresi. For å øke kompetansen i «øsofagus-teamet» ved OUS, ønsket vi å besøke professor Patkowski og hans avdeling. Med midler fra Malthes Legat fikk jeg anledning til reise, og finansiert av sine respektive avdelinger kunne ytterligere en barnekirurg og to barneanestesiologer bli med på tur til professor Patkowskis klinikk.

Det kom dessverre ingen pasienter med øsofagusatresi i løpet av vår hospitering, men vi fikk være med på flere andre avanserte laparoskopiske og torakoskopiske operasjoner. Anestesilegene fra Oslo fikk møte de lokale anestesilegene, som har mye erfaring med utfordringer relatert til torakoskopiske operasjoner på nyfødte. Videre har professor Patkowski et stort videoarkiv og svært bred erfaring, og vi hadde mange gode diskusjoner.

Ved slike besøk, kan det å knytte kontakter være minst like verdifullt som selve hospiteringen. Noen uker etter besøket i Wroclaw, fikk vi inn en pasient med øsofagusatresi med lang avstand mellom øvre og nedre øsofagus-ende, noe som gjør kirurgien spesielt krevende. Vi inviterte professor Patkowski, som kom til Oslo og bisto

under operasjonen. Den ble gjort torakoskopisk i tre seanser med svært godt resultat.

Vår tur til Wroclaw var svært lærerik, og vi hadde stor glede av å reise sammen som et team. Det å knytte kontakter man kan støtte seg på senere i karrieren, er en uvurderlig sekundærgevinst av et slikt besøk. Takk til Malthes Legat som muliggjorde denne turen for meg.

BILDE 1. Utenfor Wroclaw University of Medicine i Polen. Fra venstre: Professor Patkowski, Henrik Røkkum, Kjetil Ertresvåg, Kristoffer Stensrud, Arne Wilhelm Gericke.

Kubtec Mozart 3D

Røntgenskap for kirurgi

• 3D-tomosyntese

• 12 x 15 cm detektor

• høyoppløselige røntgenbilder direkte i operasjonssal

Kontakt oss for å prøve systemet.

Vi setter opp systemet på din avdeling, hvor du kan teste det i 1–2 uker. Du får hjelp av en applikasjonsspesialist som er til stede på operasjonssalen de første 1–2 dagene.

Johnny Bøgelund +45 60 25 93 06 jgb@Santax.com Brystkirurgi

4DryField® PH

Bruk av 4DryField® resulterte i den største reduksjonen i adhesjonsscore av alle evaluerte barrierer.

4DryField® oppnådde de beste resultatene når det gjelder postoperativ komplikasjon og smerteutvikling.

epost: ordre@medero.no www.medero.no

DEN TAUSE LUFTLEKKASJEN

EN SJELDEN ÅRSAK TIL

PNEUMOMEDIASTINUM

Pneumomediastinum er en sjelden, men viktig differensialdiagnose ved halshevelse og thorakale smerter. Tilstanden kan oppstå spontant eller sekundært til traume, kirurgi eller underliggende sykdom. Den vanligste patofysiologiske mekanismen er Macklins effekt, der økt intralveolært trykk fører til ruptur av alveolene og luftlekkasje langs bronkovaskulære strukturer til mediastinum (1). Spontan pneumomediastinum forekommer hyppigst hos unge voksne og forbindes med hoste, anstrengelse, oppkast eller Valsalvas manøver (2) (figur 1). Sekundær pneumomediastinum sees i sammenheng med traume, iatrogene skader eller alvorlige underliggende sykdommer (3) (figur 1). Diagnosen krever en systematisk tilnærming, der en kombinasjon av anamneseopptak, klinisk vurdering og bildediagnostikk kan avdekke den underliggende årsaken. Denne kasuistikken beskriver en ung mann med pneumomediastinum og subkutant emfysem av tilsynelatende ukjent etiologi. Først ved et detaljert anamneseopptak kom den utløsende faktoren frem.

INGRID CECILIE OFSTAD RAKNES 1, DAVID HUI 2

¹ LEGE I SPESIALISERING VED ØRE - NESE - HALS - AVDELINGEN, HAUGESUND SJUKEHUS.

2 KLINISK DOKTORGRADSSTIPENDIAT VED ØRE - NESE - HALS - AVDELINGEN VED INSTITUTT FOR KLINISK MEDISIN, UNIVERSITETET I OSLO, OG LEGE I SPESIALISERING VED ØRE - NESE - HALS - AVDELINGEN OG SEKSJON FOR TRANSPLANTASJONSKIRURGI, OSLO UNIVERSITETSSYKEHUS.

KORRESPONDANSE: INGRID CECILIE OFSTAD RAKNES - EPOST: INGRIDCECILIE_RAKNES @ HOTMAIL.COM

En tidligere frisk mann i 20-årene ble innlagt ved ørenese-hals-avdelingen på sykehus med ett og et halvt døgns sykehistorie preget av gradvis økende hevelse på halsen, nakken, brystkassen og i ansiktet. Han hadde tidligere kjent pollenallergi og mulig nøtteallergi. Ingen tidligere alvorlige allergiske reaksjoner ble rapportert. Han brukte ingen faste medisiner og han hadde fulgt vaksinasjonsprogrammet.

Hoste Traume

Anstrengelse Latrogen skade

Oppkast Alvorlig underliggende sykdom

Valsalvas manøver

Pasienten returnerte nylig fra en ferie i utlandet med lang flyreise. Tre dager etter hjemkomst merket han en følelse av trykk i halsen, etterfulgt av tiltagende hevelse mest utbredt i halsområdet. Han oppsøkte legevakten da symptomene forverret seg. Ingen pustevansker, smerter eller systemiske symptomer ble rapportert. På legevakten ble det vurdert mulig allergi eller infeksjon som årsak, og han ble henvist til sykehus som øyeblikkelig hjelp for videre utredning.

Ved ankomst sykehus var pasienten i god allmenntilstand, sirkulatorisk og respiratorisk stabil. Han hadde blodtrykk 136/84 mmHg, puls 104 slag per minutt, respirasjonsfrekvens 12 per minutt og oksygenmetning 96% på romluft. Han rapporterte ingen brystsmerter, men økende følelse av dyspne i akuttmottaket. Palpasjon av

FIGUR 1. Årsaker til spontan og sekundær pneumomediastinum.
Spontan pneumomedianstium Sekundær pneumomediastinum
BILDE 1. Subkutant emfysem over collum og apikale deler av lungene bilateralt og mistanke om pneumomediastinum. Pasienten har samtykket til publisering av bildet.
BILDE 2. Utbredt subkutant emfysem, pneumomediastinum og sublottisk rift. Dog kan sikker trakealdefekt ikke visualiseres. Pasienten har samtykket til publisering av bildet.
“Pneumomediastinum kan oppstå spontant eller sekundært til traume, kirurgi eller underliggende sykdom”

halsen viste uttalt subkutant emfysem med krepitasjoner på halsen, men også merkbart over brystkassen og ansiktet. Det var normale respirasjonslyder bilateralt ved auskultasjon av lunger. Generell øre-nese-hals-undersøkelse, inkludert fleksibel laryngoskopi viste normale forhold.

Røntgen thorax viste subkutant emfysem over collum og apikale lungefelter bilateralt, men ingen pneumothorax (bilde 1). Røntgenbildene ga imidlertid mistanke om pneumomediastinum (bilde 1) og det ble tatt CT av hals og thorax som bekreftet utbredt subkutant emfysem og pneumomediastinum (bilde 2). Radiolog beskrev bildefunnet forenlig med en sannsynlig subglottisk rift, men uten synlig trakealdefekt eller frakturer. Pasienten benektet traume, hoste, oppkast eller annen belastning som kunne forklare symptomene. På direkte spørsmål bekreftet pasienten treg avføring siste dager og dette ble holdt som den foreløpige sannsynlige årsaken til trykkøkningen i luftveiene og videre utvikling av pneumomediastinum.

Pasientens blodprøver viste leukocytter 11,7 x 10⁹/L, hemoglobin 15,4 g/dL, trombocytter 286 x 10⁹/L og C-reaktivt protein (CRP) 77 mg/L. Det var normale nyreprøver og elektrolytter.

Ved innkomst ble det startet intravenøs Benzylpenicillin 1,2 g x 4 i profylaktisk øyemed. Han utviklet ingen respiratoriske komplikasjoner, men meldte gjennom første døgn om smerter retrosternalt og i halsregionen, som responderte godt på Paracetamol. I løpet av de neste dagene ble pasienten holdt inneliggende for videre observasjon, der han opplevde klinisk og biokjemisk bedring. Etter tre døgn på sykehus var det fullstendig regress av smerter, hevelse og krepitasjoner. Det var fall i CRP til 9 mg/L og leukocytter 6,5 x 10⁹/L. Grunnet helt fravær av plager og regress av aktuelle symptomer ble tiltenkt kontroll av CT-undersøkelsen avlyst.

I den videre utredningen ble det i samråd med lungelege funnet indikasjon for kompletterende bronkoskopi på bakgrunn av pneumomediastinum og tegn til subglottisk rift, men uten funn av sikker trakealdefekt. Bronkoskopi ble gjennomført fem dager etter innleggelse. Undersø­

kelsen viste normale forhold i trakeobronkialtreet, uten tegn til trakealruptur eller slimhinneforandringer.

Pasienten ble gjennom innleggelsen diskutert daglig på morgenmøtet ved øre-nese-hals-avdelingen med tanke på mulige årsaker til hans pneumomediastinum. Før utskrivelse, etter fem dager inneliggende på sykehus, ble pasienten på nytt systematisk spurt om mulig traume. Han oppga da at han i dagene forut for innleggelsen hadde vært utsatt for gjentatt eksternt trykk mot halsen under seksuell aktivitet med sin partner, både før og etter en nylig gjennomført flyreise. Basert på den kliniske vurderingen og bildediagnostiske funn, ble dette nå ansett som den mest sannsynlige utløsende faktoren for den subglottiske riften og påfølgende pneumomediastinum. Han ble utskrevet i god klinisk form og antibiotika ble seponert på utskrivelsesdagen. Pasienten ble sykmeldt en uke grunnet fysisk krevende arbeid og ingen videre kontroller ble planlagt.

En av de viktigste lærdommene fra denne kasuistikken er hvor avgjørende et grundig og systematisk anamneseopptak er for å avdekke underliggende årsaker til tilsynelatende idiopatiske tilstander. I dette tilfellet var det først ved spesifikke og direkte spørsmål på utskrivelsesdagen at pasienten oppga viktig informasjon om gjentatt trykk mot halsen, en opplysning som endret forståelsen av sykdomsmekanismen.

Tidligere studier har vist at pasienter ofte ikke spontant oppgir informasjon om potensielle traumatiske årsaker, spesielt når disse er knyttet til personlige eller sensitive forhold (4). En klinikers evne til å etablere tillit og stille åpne, men presise spørsmål er derfor avgjørende for å kunne diagnostisere korrekt tilstander som pneumomediastinum. I vårt tilfelle kan gjentatt halskompresjon ha ført til økt intratrakealt trykk og mulig alveolær ruptur, med påfølgende luftlekkasje inn i mediastinum. Selv om halskompresjon som årsak til pneumomediastinum er sjelden, illustrerer denne kasuistikken behovet for å vurdere uvanlige etiologier når vanlige årsaker er utelukket.

“Diagnosen stilles vanligvis med bildediagnostikk, som røntgen thorax eller CT”

Pasienten hadde nylig gjennomført en lang flyreise med potensielle trykkendringer før symptomdebut. Trykkendringer under flyreiser kan bidra til ekspansjon av gass i mediastinum og dermed potensielt forverre eksisterende luftlekkasjer. Selv små mengder luft i mediastinum kan utvide seg ved lavere kabintrykk, noe som potensielt kan forklare årsaken til at enkelte pasienter opplever forverring av symptomer etter flyreise. Hos pasienter med underliggende predisponerende faktorer, slik som cervikal kompresjon eller annen luftveisbelastning, kan en trykkendring i flykabinen bidra til manifestasjonen av pneumomediastinum (5). Dette understreker behovet for å vurdere nylige aktiviteter og miljøeksponeringer i anamneseopptaket.

Diagnosen pneumomediastinum stilles vanligvis med bildediagnostikk, som røntgen thorax eller CT av hals og thorax. I denne kasuistikken viste CT utbredt subkutant emfysem og pneumomediastinum, med mistanke om subglottisk rift (bilde 2). Bronkoskopi ble utført for å utelukke trakealdefekt, men uten funn av defekter. Dette fremhever viktigheten av multimodal diagnostisk tilnærming for å identifisere eller utelukke underliggende årsaker til pneumomediastinum.

Behandlingen av pneumomediastinum er hovedsakelig konservativ, med fokus på observasjon og symptomlindring. Antibiotikaprofylakse vurderes ved mistanke om trakealdefekt for å forhindre infeksjon. Kirurgisk intervensjon vurderes sjeldent ved pneumomediastinum, men kan være nødvendig i spesifikke tilfeller. Ved for eksempel spenningspneumomediastinum, der luftansamlingen forårsaker hemodynamisk ustabilitet, kan akutt kirurgisk dekompresjon være livreddende (6). Teknikker som dekompresjon via et snitt i fossa jugularis med stump disseksjon inn i mediastinum, eller plassering av et dren, har blitt beskrevet som effektive tiltak (7). Ved identifisering av en perforasjon i trakea eller øsofagus er

kirurgisk reparasjon nødvendig for å forhindre utvikling av alvorlige komplikasjoner som mediastinitt (8).

Prognosen ved pneumomediastinum er generelt god, spesielt ved spontan pneumomediastinum uten underliggende alvorlig patologi. De fleste tilfeller tilheles spontant uten behov for invasive inngrep. Imidlertid er nøye klinisk overvåking essensielt for å identifisere tegn på forverring eller utvikling av komplikasjoner som pneumothorax eller mediastinitt.

Denne kasuistikken illustrerer en sjelden, men viktig årsak til pneumomediastinum hos en ung pasient, og understreker betydningen av grundig anamneseopptak, inkludert sensitive temaer, for å identifisere skjulte, utløsende faktorer. Videre belyser kasuistikken behovet for en balansert vurdering av konservative og kirurgiske behandlingsstrategier, basert på pasientens kliniske presentasjon og underliggende årsak. Klinikere bør være oppmerksomme på uvanlige årsaker og vurdere hele spekteret av mulige utløsende faktorer for å sikre nøyaktig diagnose og optimal pasientbehandling.

Pasienten har samtykket til publisering.

REFERANSER : Se bakerst i nettutgaven på kirurgen.no

Manage the incision. Manage the outcome.

We understand you. Always in complete control, before and during theatre – everything just as you need. Whilst in your hands, patients have the best chance of a great outcome. But what happens when you leave theatre? With PICO therapy, you can keep control of your patients’ recoveries by significantly reducing the risk of postoperative wound complications.1 As our most advanced incision management device, PICO therapy helps protect your patients and your work, whilst optimising post-op healing. PICO◊ Therapy. Leave nothing to chance.

In a meta-analysis of patients with risk factors for surgical site complications, the PICO◊ system significantly reduced the odds of surgical site infection by 63% compared to care with standard dressings; p<0.00001; meta-analysis of 19 studies (odds ratio (OR): 0.37)

1. Saunders C, Nherera LM, Horner A, Trueman P. Single-use negative-pressure wound therapy versus conventional dressings for closed surgical incisions: systematic literature review and meta-analysis. BJS Open. 2021;5(1):1–8.

Products may not be available in all markets because product availability is subject to the regulatory and/or medical practices in individual markets. Please contact your Smith+Nephew representative or distributor if you have questions about the availability of Smith+Nephew products in your area. For detailed product information, including indications for use, contraindications, warnings and precautions, please consult the product’s Instructions for Use (IFU) prior to use. ◊ Trademark of Smith+Nephew. All Trademarks acknowledged. ©2024 Smith+Nephew AWM-AWD-43757 06/24

VELKOMMEN TIL

DET 100. KIRURGISKE

HØSTMØTET

HØSTMØTET 2025 MEET ULLEVAAL | UKE 43

KJÆRE KOLLEGER,

I mange år har Høstmøtet vært den viktigste møteplassen for norske kirurger.

I 2025 markerer vi en milepæl: det hundrede Høstmøtet! Vi inviterer deg til å feire tradisjonen – og samtidig se fremover mot neste kapittel i norsk kirurgi.

HVA GJØR ÅRETS MØTE SPESIELT?

Ny kongressarrangør – Liwlig Conference

Med Liwlig på laget løfter vi arrangementet til et enda mer profesjonelt nivå, med strømlinjeformede prosesser og førsteklasses logistikk.

Nytt abstracts- og påmeldingssystem

Alt er samlet på www.hostmotet.no

– Send inn abstract på en enklere, mer intuitiv plattform

– Meld deg på med få klikk – registreringen er allerede åpnet!

Høyt faglig innhold

Et knallsterkt program med ledende foredragsholdere fra inn- og utland. Fokus på ny kunnskap, innovasjon og tverrfaglig samarbeid.

Jubileumssymposium

Felles jubileumssymposium i regi av NKF onsdag formiddag.

Jubileums-gallamiddag på The Hub

Vi markerer 100-årsjubileet med en uforglemmelig gallamiddag, spektakulær underholdning og god tid til å knytte nye kontakter.

Praktisk

• Tid og sted: Meet Ullevaal, Oslo – nær kollektivknutepunkt, hotell og parkering

• Dato: 20.-24. Oktober 2025

• Påmelding / abstracts: www.hostmotet.no.

Bli med og skriv historie sammen med det norske kirurgiske miljøet. Vi gleder oss til å ønske deg velkommen til et jubileumsmøte fylt med faglig tyngde, inspirasjon og feststemning!

På vegne av Norsk Kirurgisk Forening og Liwlig Conference

DAG PROGRAM

MANDAG

NKF: Traumatologi – Fremtidens traumesystemer og kirurgens rolle fra akuttfasen til rehabilitering

TIRSDAG NBF: Bukvegg – Komplekse brokk, parastomale brokk, organisering og utdanning, vanskelige kasus og komplikasjonshåndtering

Gastrokirurgi: Fedme, Øvre malign og HPB

Karkirurgi: Mesenteriell ischemi og viscerale aneurismer

Kjevekirurgi: Frie foredrag

ONSDAG NKF: 100 års jubileumssymposium før lunch – FUNK & NKF fellessymposium etter lunch med ECTES abstrakt konkurranse

Dag

Program

Gastrokirurgi: Øvre benign symposium og PhD symposium

Mandag

Urologisk kirurgi: Steinsymposium (NIU del I)

Tirsdag

TORSDAG

NKF: Traumatologi – Fremtidens traumesystemer og kirurgens rolle fra akuttfasen til rehabilitering

Bryst og endokrinkirurgi: Frie foredrag, onkoplastikk og brystkreftregisteret

NBF: Bukvegg – Komplekse brokk, parastomale brokk, organisering og utdanning, vanskelige kasus og komplikasjonshåndtering

Gastrokirurgi: Fedme, Øvre malign og HPB

Karkirurgi: Mesenteriell ischemi og viscerale aneurismer

Karkirurgi: Behandling av PAD – Gjøres det for lite åpen kirurgi i Norge?

Kjevekirurgi: Frie foredrag

Onsdag

NKF: 100 års jubileumssymposium før lunch – FUNK & NKF f ellessymposium etter lunch med ECTES abstrakt konkurranse

Plastikk kirurgi: Symposium, temaforelesning og frie foredrag

Gastrokirurgi: Robot symposium og rotasjonsstillingsymposium

Gastrokirurgi: Øvre benign symposium og PhD symposium

Urologisk kirurgi: BPH symposium (NIU del II)

Urologisk kirurgi: Steinsymposium (NIU del I)

Bryst og endokrinkirurgi: Frie foredrag, onkoplastikk og brystkreftregisteret

Karkirurgi: Behandling av PAD – Gjøres det for lite åpen kirurgi i Norge?

Bryst og endokrin kirurgi: Eurocrine, Jan Erik Varhaugs symposium, frie foredrag og prisutdeling

Torsdag

Karkirurgi: Frie foredrag, Årsrapport og Generalforsamling

Plastikk kirurgi: Symposium, temaforelesning og frie foredrag

Gastrokirurgi: Robot symposium og rotasjonsstillingsymposium

Urologisk kirurgi: BPH symposium (NIU del II)

FREDAG Thoraxkirurgi: Generalforsamling, Vitenskaplige forhandlinger og hjertekirurgisk temaforelesning

Bryst og endokrin kirurgi: Eurocrine, Jan Erik Varhaugs symposium, frie foredrag og prisutdeling

Karkirurgi: Frie foredrag, Årsrapport og Generalforsamling

Gastrokirurgi: Rektum og IBD symposium

Fredag

Urologisk kirurgi: Prostata symposium og NIU pris

Thoraxkirurgi: Generalforsamling, Vitenskaplige forhandlinger og hjertekirurgisk temaforelesning

Gastrokirurgi: Rektum og IBD symposium

Barnekirurg: Frie foredrag og barnebrokk symposium

Urologisk kirurgi: Prostata symposium og NIU pris

Barnekirurg: Frie foredrag og barnebrokk symposium

Meld deg på i dag – Og husk «Early Bird» priser, og begrensede plasser på jubileumsmiddagen med påmeldingsfrist 1 oktober.

Skann QR-koden for å melde deg på

Velkommen til symposium for øvre GI kirurgi, 22. oktober 2025, Meet Ullevål, aud S2

FRA SÅR TIL KRISE

-Kirurgens møte med det kompliserte ulcus

SESJON 1

15.00-15.15 «State-of-the-art» - kirurgisk behandling av perforerte ulcus v/ Kenneth Thorsen, Stavanger Universitetssykehus

15.20-15.35 Blødende magesår – når skal kniven frem og hva er strategien? Perspektiver fra sykehus med forskjellige intervensjonsmuligheter v/ Robin Gaupset, Akershus Universitetssykehus

15.40-15.50 Håndtering av iatrogene og retroperitoneale ulcus v/ Tobias Hauge, Oslo Universitetssykehus

10 MIN PAUSE

SESJON 2

16.05-16.15 Blødning og ulcus etter metabolsk bariatrisk kirurgi v/Marius Svanevik, Sykehuset i Vestfold, Tønsberg

16.20-16.30 Blødning og perforasjon av maligne ulcus/tumores v/Caroline Skagemo, Oslo Universitetssykehus

16.35-16.55 Det lekker – hva er strategien videre? m/kasuistikker v/Svante Zetterberg og Dag Førland, Oslo Universitetssykehus 16.55-17.00 Diskusjon/avslutning

INTET HØSTMØTE

UTEN FUNK

På tirsdagen under høstmøtet arrangerer vi sammen med Medtronic en middag kun for LIS, helt gratis. Det er fjerde år på rad vi arrangerer denne middagen, så nå er det offisielt tradisjon. Dette er en hyggelig og uformell middag, og en fin måte å bli kjent med LIS fra ulike sykehus på. Det er et begrenset antall plasser, førstemann til mølla gjelder. Ytterligere informasjon og påmelding kommer på FUNK sine kanaler på Instagram og Facebook.

En langt mer etablert tradisjon er NM i laparoskopi, som vi arrangerer sammen med NTLF (Norsk Thoraco-Laparoskopi Forening) hvert år under høstmøtet. Send inn opptak av din beste tid i “slalåmløypa”, eller kom innom FUNK sin stand og gjør et forsøk på direkten. Her er det mulighet til å vinne både heder og ære, penger (5000 kr for beste tid på direkten!) og en flott vandrepokal.

Du finner også popcorn, is og stilig merch på vår stand. Har du spørsmål eller innspill om LIS-utdanning og hva FUNK bør fokusere på framover? Kom innom og snakk med oss, vi vil gjerne høre fra deg.

Følg oss på Instagram: @ungenorskekirurger

Følg oss på Facebook: FUNK – Foreningen for Unge Norske Kirurger

Send inn opptak til NM i laparoskopi til: laparoskopinm@gmail.com

H E L S E I N N O VA S J O N S

D A G E N

D A G E N H E L S E I N N O VA S J O N S

Når: 22. oktober kl. 17.30-19.30

Hvor: Meet Ullevål Stadion

Det blir matservering fra kl.17 (husk påmelding!)

I år samarbeider Studentforeningen for Medisinsk

Innovasjon (SMI), Oslo Chirurgiske Sælskab (OCS) og

Norsk Kirurgisk Forening (NKF) om å markere

Helseinnovasjonsdagen! Årets fokus er kirurgisk innovasjon.

Velkommen skal du være til en fremtidsrettet, innovativ kveld

med foredrag fra pionerer på feltet!

Les mer på Facebook: Påmelding:

42nd SADE course

We are pleased to welcome you to participate at the Scandinavian Association of Digestive Endoscopy (SADE) Conference January 14-16, 2026 in Helsinki, Finland.

The overall theme of the conference is Endoscopy; Quality and resources; including sessions on endoscopy indications and quality, emerging imaging modali- ties (capsule endoscopy, PET-MRI & EUS), polypectomy techniques (EMR & ESD),

DATE: January 14 - 16, 2026

LOCATION

Clarion Hotel Helsinki

Tyynenmerenkatu 2

00220 Helsinki

Finland

WEBSITE: https://www.sade.dk

complications of chronic pancreatitis, primary sclerosing cholangitis, percutaneous endoscopic gastrostomy (techniques and treatment of complications), Barrettscreening and -therapy.

Beside talks, panel discussions and state of the art lectures from leading European experts the conference also includes hands on training on January 14.

ORGANIZING COMMITTEE, FINLAND

Marianne Udd, Jukka Koffert, Kalle Jokelainen, Johanna Mrena, Samuli Nissinen, Leena Kylänpää, Antti Siiki, Henna Söderström

Thank you to our sponsors and Exhibitors

Gold Sponsor and Exhibitor Fujifilm

Silver sponsor and exhibitor

Olympus, Augere Medical, Boston Scientific, Takeda, Avanos, Mediq, Janssen-Cilag Oy

Exhibitors

Ambu, Cook Medical , Norgine, Medtronic, Tillots Pharma and CSL Viforpharma

Photo: jaakko kemppinen

S 143: ABDOMINAL KIRURGI VED CROHNS SYKDOM

1. Adamina M, Minozzi S, Warusavitarne J, Buskens CJ, Chaparro M, Verstockt B, et al. ECCO Guidelines on Therapeutics in Crohn’s Disease: Surgical Treatment. J Crohn’s Colitis. 2024;18(10):1556–82.

2. Buer LCT MB. Inflammatorisk tarmsykdom – diagnostikk og behandling. Indremedisineren [Internet]. 2016; Available from: https://indremedisineren.no/2016/08/inflammatorisk-tarmsykdom-diagnostikk-og-behandling/

3. Ponsioen CY, de Groof EJ, Eshuis EJ, Gardenbroek TJ, Bossuyt PMM, Hart A, et al. Laparoscopic ileocaecal resection versus infliximab for terminal ileitis in Crohn’s disease: a randomised controlled, open-label, multicentre trial. Lancet Gastroenterol Hepatol [Internet]. 2017 Nov 1 [cited 2025 Aug 17];2(11):785–92. Available from: https://www. sciencedirect.com/science/article/abs/pii/S2468125317302480

4. Stevens TW, Haasnoot ML, D’Haens GR, Buskens CJ, de Groof EJ, Eshuis EJ, et al. Laparoscopic ileocaecal resection versus infliximab for terminal ileitis in Crohn’s disease: retrospective long-term follow-up of the LIR!C trial. Lancet Gastroenterol Hepatol [Internet]. 2020 Oct 1 [cited 2025 Aug 17];5(10):900–7. Available from: https://www. sciencedirect.com/science/article/abs/pii/S2468125320301175?via%3Dihub

5. Udholm LS, Rasmussen SL, Madsbøll TK, Omairi M, El-Hussuna A. A systemic review and metaanalysis of postoperative outcomes in urgent and elective bowel resection in patients with Crohn’s disease. Int J Colorectal Dis. 2021;36(2):253–63.

6. Roy P, Kumar D. Strictureplasty. Br J Surg. 2004;91(11):1428–37.

7. Uchino M, Ikeuchi H, Matsuoka H, Matsumoto T, Takesue Y, Tomita N. Long-term efficacy of strictureplasty for Crohn’s disease. Surg Today. 2010;40(10):949–53.

8. Rottoli M, Tanzanu M, Manzo CA, Bacchi Reggiani ML, Gionchetti P, Rizzello F, et al. Strictureplasty for Crohn’s disease of the small bowel in the biologic era: long-term outcomes and risk factors for recurrence. Tech Coloproctol [Internet]. 2020;24(7):711–20. Available from: https://doi.org/10.1007/s10151-020-02208-7

9. Butt WT, Ryan ÉJ, Boland MR, McCarthy EM, Omorogbe J, Hazel K, et al. Strictureplasty versus bowel resection for the surgical management of fibrostenotic Crohn’s disease: a systematic review and meta-analysis. Int J Colorectal Dis. 2020;35(4):705–17.

10. Luglio G, Corcione F. Stapled versus handsewn methods for ileocolic anastomoses. Tech Coloproctol. 2019;23(11):1093–5.

11. Feng JS, Li JY, Yang Z, Chen XY, Mo JJ, Li SH. Stapled side-to-side anastomosis might be benefit in intestinal resection for Crohn’s disease. Med (United States). 2018;97(15):1–6.

12. Dasharathy SS, Limketkai BN, Sauk JS. What’s New in the Postoperative Management of Crohn’s Disease? Dig Dis Sci [Internet]. 2022;67(8):3508–17. Available from: https:// doi.org/10.1007/s10620-021-07205-w

13. Lin W, Lemke M, Ghuman A, Phang PT, Brown CJ, Raval MJ, et al. Effect of Kono-S anastomosis on reducing postoperative recurrence rates in Crohn’s disease: a systematic review and meta-analysis. Tech Coloproctol [Internet]. 2024;28(1):1–11. Available from: https://doi.org/10.1007/s10151-024-02991-7

14. Luglio G, Rispo A, Imperatore N, Giglio MC, Amendola A, Tropeano FP, et al. Surgical Prevention of Anastomotic Recurrence by Excluding Mesentery in Crohn’s Disease: The SuPREMe-CD Study - A Randomized Clinical Trial. Ann Surg. 2020;272(2):210–7.

15. Tyrode G, Lakkis Z, Vernerey D, Falcoz A, Clairet V, Alibert L, et al. KONO-S Anastomosis Is Not Superior to Conventional Anastomosis for the Reduction of Postoperative Endoscopic Recurrence in Crohn’s Disease. Inflamm Bowel Dis. 2024;30(10):1670–7.

16. Stjärngrim J, Widman L, Schmidt PT, Ekbom A, Forsberg A. Post-endoscopy colorectal cancer after colectomy in inflammatory bowel disease patients: A population-based register study. Eur J Gastroenterol Hepatol. 2023;35(3):288–93.

17. Coffey CJ, Kiernan MG, Sahebally SM, Jarrar A, Burke JP, Kiely PA, et al. Inclusion of the mesentery in ileocolic resection for Crohn’s disease is associated with reduced surgical recurrence. J Crohn’s Colitis. 2018;12(10):1139–50.

18. Zhu Y, Qian W, Huang L, Xu Y, Guo Z, Cao L, et al. Role of Extended Mesenteric Excision in Postoperative Recurrence of Crohn’s Colitis: A Single-Center Study. Clin Transl Gastroenterol. 2021;12(10):1–9.

19. van der Does de Willebois EML, Bellato V, Duijvestein M, van der Bilt JDW, van Dongen K, Spinelli A, et al. Effect of mesenteric sparing or extended resection in primary ileocolic resection for Crohn’s disease on postoperative endoscopic recurrence (SPICY): an international, randomised controlled trial. Lancet Gastroenterol Hepatol [Internet]. 2024 Sep 1 [cited 2025 Aug 17];9(9):793–801. Available from: https://www.sciencedirect. com/science/article/abs/pii/S2468125324000979?via%3Dihub

20. Mostafa OES, Zaman S, Malik M, Kumar P, Kumar L, Akingboye A, et al. Clinical outcomes of conventional versus extended mesenteric resection in limited ileo-colonic Crohn’s disease: a systematic review and meta-analysis. Int J Colorectal Dis [Internet]. 2025;40(1). Available from: https://doi.org/10.1007/s00384-025-04937-3

21. Spertino M, Gabbiadini R, Dal Buono A, Busacca A, Franchellucci G, Migliorisi G, et al. Management of Post-Operative Crohn’s Disease: Knowns and Unknowns. J Clin Med. 2024;13(8).

22. Yamamoto T, Keighley MRB. Smoking and disease recurrence after operation for Crohn’s disease. Br J Surg. 2000;87(4):398–404.

23. Ryan JM, Rogers AC, O’Toole A, Burke JP. Meta-analysis of Histological Margin Positivity in the Prediction of Recurrence after Crohn’s Resection. Dis Colon Rectum. 2019;62(7):882.

24. Delaney CP, Fazio VW. Crohn ’ S Disease of the. 2001;81(1):137–58.

25. Rutgeerts P, Hiele M, Geboes K, Peeters M, Penninckx F, Aerts R, et al. Controlled trial of metronidazole treatment for prevention of crohn’s recurrence after ileal resection. Gastroenterology. 1995;108(6):1617–21.

26. Gordon M, Clegg A, Sc F, Jk M, Ak A, Gordon M, et al. Crohn ’ s disease : a network meta-analysis ( Review ). 2019;

27. Crohn’s disease: management [Internet]. National Institute for Health and Care Excellence; 2019. Available from: https://www.nice.org.uk/guidance/ng129

S 148: BEKKENRESERVOAR VED ULCERØS KOLITT

1. Nissen R. Demonstrationen aus der operativen Chirurgie, Nr. 39. In: Sitzungsberichte aus chirurgischen Gesellschaften. Berliner Gesellschaft fiir Chirurgie. Zentralbl Chir 1932; 60:88

2. Kock NG. Intra-abdominal “reservoir” in patients with permanent ileostomy. Preliminary observations on a procedure resulting in fecal “continence” in five ileostomy patients. Ann Srg 1969; 99:223-231

3. Parks AG, Nicholls RJ. Proctocoelctomy without ileostomy for ulcerative colitis. BMJ 1978; 2:85-88

4. Utsunomiya J, Iwama T, Imajo M, et al. Total colectomy, mucosal proctectomy, and ileoanal anastomosis. Dis Colon Rectum 1980; 23:459-466

5. Wasmuth HH. Ileal Pouches – Doctoral Thesis at NTNU. 2012:10 ISBN 978-82-4713281-4 (electronic version)

6. Fonkalsrud EW. Endorectal Ileal Pullthrough with Lateral Ileal Reservoir for Benign Colorectal Disease. Ann Surg 1981; 194:761-766

7. https://kolorektal.no/wp-content/uploads/2024/11/Rapport-endelig-IBD-gruppe-v26.10.21.pdf

8. McCormick PH, Guest GD, Clark AJ, et al. The ideal ileal-pouch design: a long-term randomized control trial of J- vs W-pouch construction. Dis Colon Rectum 2012; 55:1251-1257

9. Lovegrove RE, Heriot AG, Constaninides V, et al. Meta-analysis of short-term and longterm outcomes of J, W and S ileal reservoirs for restorative proctocolectomy. Colorectal Dis 2007; 9:310-320

10. Sunde ML, Øresland T, Færden AE. Restorative proctocolectomy with two different pouch designs: few complications with good function. Colorectal Disease 2017; 19:363-371

11. Lavryk O, Maspero M, Holubar SD, et al. Postoperative outcomes of a pelvic pouch procedure: Lessons learned over 40 years among 5070 patients. J Gastrointest Surg. 2025; 29:101938. doi: 10.1016/j.gassur.2024.101938. Epub 2025 Jan 20.

12. Wasmuth HH, Tranø G, Endreseth B, et al: Long-term surgical load in patients with ileal pouch-anal anastomosis. Colorectal Disease 2009; 11:711-718

13. Sahami S, Buskens CJ, Fadok TY, et al. Defunctioning ileostomy is not associated with reduced leakage in proctocolectomy and ileal pouch anastomosis I surgeries for IBD, J Crhons Colitis 2016; 10:779-785

14. Plietz MC, Kayal M, Rizvi A, et al. Slow and steady wins the race: a solid case for 3-stage approach in ulcerative colitis. Dis Colon Rectum 2021; 64:1511-1520

15. Kirat HT, Remzi FH, Kiran RP, et al. Comparison of outcomes after hand-sewn versus stapled ileal-pouch-anal anastomosis in 3,109 patients. Surgery 2009; 146:723-729

16. Mineccia M, Cravero F, Massucco P, et al. Laparoscopic vs open restorative proctocolectomy with IPAA for ulcerative colitis: Impact of surgical technique on creating a well functioning pouchInternational Journal of Surgery 2018; 55:201-206

17. Bartels SA, DʼHoore A, Cuesta MA, et al. Significantly increased pregnancy rates after laparoscopic restorative proctocolectomy: a cross-sectional study. Ann Surg. 2012; 256:1045-1048

18. Beyer-Berjot L, Maggiori L, Birnbaum D, et al. A total laparoscopic approach reduces the infertility rate after ileal pouch-anal anastomosis: a 2-center study. Ann Surg. 2013; 258:275-282

19. Gradenbroek TJ, Musters GD, Buskens CJ, et al. Endo-sponge treatment of anastomotic leakage after ileo-anal pouch anastomosis: report of two cases. Colorectal Dis. 2015; 17:426-432

20. Zaffaroni G, Mannucci A, Koskenvuo L, et al. Updated European guidelines for clinical management of familial adenomatous polyposis (FAP), MUTYH-associated polyposis (MAP), gastric adenocarcinoma, proximal polyposis of the stomach (GAPPS) and other rare adenomatous polyposis syndromes: a joint EHTG-ESCP revision. Br J Surg. 2024 May 3;111(5):znae070. doi: 10.1093/bjs/znae070

21. M, Landerholm K, Andersson P, Andersson RE, et al. Risk of Rectal Cancer After Colectomy for Patients With Ulcerative Colitis: A National Cohort Study. Clin Gastroenterol Hepatol. 2017; 15:1055-1060

S 154: PERIANAL CROHNS

1. Eglinton TW, Barclay ML, Gearry RB, Frizelle FA. The Spectrum of Perianal Crohn’s Disease in a Population-Based Cohort. Dis Colon Rectum. 2012 Jul;55(7):773–7.

2. Tsai L, McCurdy JD, Ma C, Jairath V, Singh S. Epidemiology and Natural History of Perianal Crohn’s Disease: A Systematic Review and Meta-Analysis of Population-Based Cohorts. Inflamm Bowel Dis. 2022 Oct 3;28(10):1477–84.

3. Pogacnik JS, Salgado G. Perianal Crohn’s Disease. Clin Colon Rectal Surg. 2019 Sep;32(5):377–85.

4. Genua JC, Vivas DA. Management of nonhealing perineal wounds. Clin Colon Rectal Surg. 2007 Nov;20(4):322–8.

5. Pikarsky AJ, Gervaz P, Wexner SD. Perianal Crohn Disease. Archives of Surgery. 2002 Jul 1;137(7).

6. Rapport fra IBD arbeidsgruppe. https://kolorektal.no/wp-content/uploads/2024/11/ Rapport-endelig-IBD-gruppe-v26.10.21.pdf. 2021.

7. https://www.ecco-ibd.eu/publications/ecco-guidelines-science.html.

8. Adamina M, Minozzi S, Warusavitarne J, Buskens CJ, Chaparro M, Verstockt B, et al. ECCO Guidelines on Therapeutics in Crohn’s Disease: Surgical Treatment. J Crohns Colitis. 2024 Oct 15;18(10):1556–82.

9. Gordon H, Minozzi S, Kopylov U, Verstockt B, Chaparro M, Buskens C, et al. ECCO Guidelines on Therapeutics in Crohn’s Disease: Medical Treatment. J Crohns Colitis. 2024 Oct 15;18(10):1531–55.

10. Norderval S, Lundby L, Hougaard H, Buntzen S, Weum S, de Weerd L. Efficacy of autologous fat graft injection in the treatment of anovaginal fistulas. Tech Coloproctol. 2018 Jan;22(1):45–51.

11. Stellingwerf ME, van Praag EM, Tozer PJ, Bemelman WA, Buskens CJ. Systematic review and meta-analysis of endorectal advancement flap and ligation of the intersphincteric fistula tract for cryptoglandular and Crohn’s high perianal fistulas. BJS Open. 2019 Jun;3(3):231–41.

12. Torres J, Chaparro M, Julsgaard M, Katsanos K, Zelinkova Z, Agrawal M, et al. European Crohn’s and Colitis Guidelines on Sexuality, Fertility, Pregnancy, and Lactation. J Crohns Colitis. 2023 Jan 27;17(1):1–27.

13. Lansdorp CA, Buskens CJ, Gecse KB, D’Haens GR, Van Hulst RA. Wound healing of metastatic perineal Crohn’s disease using hyperbaric oxygen therapy: A case series. United European Gastroenterol J. 2020 Aug;8(7):820–7.

14. Grimstad Ø, Kvammen BØ, Swartling C. Botulinum Toxin Type B for Hidradenitis Suppurativa: A Randomised, Double-Blind, Placebo-Controlled Pilot Study. Am J Clin Dermatol. 2020 Oct;21(5):741–8.

15. Littlejohn DR, Newstead GL. Tailored lateral sphincterotomy for anal fissure. Dis Colon Rectum. 1997 Dec;40(12):1439–42.

16. Vitton V, Gigout J, Grimaud JC, Bouvier M, Desjeux A, Orsoni P. Sacral Nerve Stimulation can Improve Continence in Patients with Crohn’s Disease with Internal and External Anal Sphincter Disruption. Dis Colon Rectum. 2008 Jun;51(6):924–7.

17. Irvine EJ. Usual therapy improves perianal Crohn’s disease as measured by a new disease activity index. McMaster IBD Study Group. J Clin Gastroenterol. 1995 Jan;20(1):27–32.

18. Sahnan K, Adegbola SO, Tozer PJ, Watfah J, Phillips RK. Perianal abscess. BMJ. 2017 Feb 21;j475.

S 160: ERNÆRING OG HABILITERING VED KIRURGI FOR INFLAMMATORISK TARMSYKDOM

1. Selin KA, Andersson S, Bilén K, Strid H, Björk J, Soop M, et al. Variation in nutritional therapy practices: results of a survey on nutritional management of severe inflammatory bowel disease. Eur J Gastroenterol Hepatol. 2025;37(2):167–75.

2. Forbes A, Escher J, Hébuterne X, Kłęk S, Krznaric Z, Schneider S, et al. ESPEN guideline: Clinical nutrition in inflammatory bowel disease. Clin Nutr. 2017;36(2):321–47.

3. Bischoff SC, Escher J, Hébuterne X, Kłęk S, Krznaric Z, Schneider S, et al. ESPEN practical guideline: Clinical Nutrition in inflammatory bowel disease. Clin Nutr. 2020;39(3):632–53.

4. Svolos V, Gordon H, Lomer MCE, Aloi M, Bancil A, Day AS, et al. ECCO Consensus on Dietary Management of Inflammatory Bowel Disease. J Crohn’s Colitis. 2025;jjaf122.

5. Hagve M, Gjessing P, Ytrebø LM, Irtun Ø. Ernæring hos kritisk syke intensivpasienter. Tidsskr Den Nor legeforening. 2020;140(2).

6. Maia F de CP, Silva TA, Generoso S de V, Correia MITD. Malnutrition is associated with poor health-related quality of life in surgical patients with gastrointestinal cancer. Nutrition. 2020;75:110769.

7. Williams DGA, Molinger J, Wischmeyer PE. The malnourished surgery patient: a silent epidemic in perioperative outcomes? Curr Opin Anaesthesiol. 2019;32(3):405–11.

8. Skeie E, Tangvik RJ, Nymo LS, Harthug S, Lassen K, Viste A. Weight loss and BMI criteria in GLIM’s definition of malnutrition is associated with postoperative complications following abdominal resections – Results from a National Quality Registry. Clin Nutr. 2020;39(5):1593–9.

9. Brennan GT, Ha I, Hogan C, Nguyen E, Jamal MM, Bechtold ML, et al. Does preoperative enteral or parenteral nutrition reduce postoperative complications in Crohn’s disease patients. Eur J Gastroenterol Hepatol. 2018;30(9):997–1002.

10. Boneh RS, Westoby C, Oseran I, Sarbagili-Shabat C, Albenberg LG, Lionetti P, et al. The Crohn’s Disease Exclusion Diet: A Comprehensive Review of Evidence, Implementation Strategies, Practical Guidance, and Future Directions. Inflamm Bowel Dis. 2023;30(10):1888–902.

11. Narula N, Dhillon A, Zhang D, Sherlock ME, Tondeur M, Zachos M. Enteral nutritional therapy for induction of remission in Crohn’s disease. Cochrane Database Syst Rev. 2018;2018(4):CD000542.

12. Larussa T, Suraci E, Marasco R, Imeneo M, Abenavoli L, Luzza F. Self-Prescribed Dietary Restrictions are Common in Inflammatory Bowel Disease Patients and Are Associated with Low Bone Mineralization. Medicina. 2019;55(8):507.

13. Fairbrass KM, Costantino SJ, Gracie DJ, Ford AC. Prevalence of irritable bowel syndrome-type symptoms in patients with inflammatory bowel disease in remission: a systematic review and meta-analysis.  Lancet Gastroenterol Hepatol. 2020;5(12):1053–62.

14. Pironi L, Konrad D, Brandt C, Joly F, Wanten G, Agostini F, et al. Clinical classification of adult patients with chronic intestinal failure due to benign disease: An international multicenter cross-sectional survey. Clin Nutr. 2018;37(2):728–38.

15. Jeppesen PB, Pertkiewicz M, Messing B, Iyer K, Seidner DL, O’keefe SJD, et al. Teduglutide Reduces Need for Parenteral Support Among Patients With Short Bowel Syndrome With Intestinal Failure. Gastroenterology. 2012;143(6):1473-1481.e3.

16. Adamina M, Minozzi S, Warusavitarne J, Buskens CJ, Chaparro M, Verstockt B, et al. ECCO Guidelines on Therapeutics in Crohn’s Disease: Surgical Treatment. J Crohn’s Colitis. 2024;18(10):1556–82.

S 166: MEDIKAMENTELL BEHANDLING AV INFLAMMATORISK TARMSYKDOM

1. Jostins L, Ripke S, Weersma RK, et al. Host-microbe interactions have shaped the genetic architecture of inflammatory bowel disease. Nature 2012;491:119-24.

2. Tsai L, Ma C, Dulai PS, et al. Contemporary Risk of Surgery in Patients With Ulcerative Colitis and Crohn’s Disease: A Meta-Analysis of Population-Based Cohorts. Clin Gastroenterol Hepatol 2021;19:2031-2045.e11.

3. Solberg IC, Vatn MH, Høie O, et al. Clinical course in Crohn’s disease: results of a Norwegian population-based ten-year follow-up study. Clin Gastroenterol Hepatol 2007;5:14308.

4. Turner D, Ricciuto A, Lewis A, et al. STRIDE-II: An Update on the Selecting Therapeutic Targets in Inflammatory Bowel Disease (STRIDE) Initiative of the International Organization for the Study of IBD (IOIBD): Determining Therapeutic Goals for Treat-to-Target strategies in IBD. Gastroenterology 2021;160:1570-1583.

5. Torres J, Mehandru S, Colombel JF, Peyrin-Biroulet L. Crohn’s disease. Lancet 2017;389:1741-1755.

6. Noor NM, Verstockt B, Parkes M, Lee JC. Personalised medicine in Crohn’s disease. Lancet Gastroenterol Hepatol 2020;5:80-92.

7. Sandborn WJ, Travis S, Moro L, et al. Once-daily budesonide MMX® extended-release tablets induce remission in patients with mild to moderate ulcerative colitis: results from the CORE I study. Gastroenterology 2012;143:1218-1226.e2.

8. Travis SP, Danese S, Kupcinskas L, et al. Once-daily budesonide MMX in active, mild-to-moderate ulcerative colitis: results from the randomised CORE II study. Gut 2014;63:433-41.

9. Hoy SM. Budesonide MMX(®): a review of its use in patients with mild to moderate ulcerative colitis. Drugs 2015;75:879-86.

10. Targownik LE, Bernstein CN, Benchimol EI, et al. Trends in Corticosteroid Use During the Era of Biologic Therapy: A Population-Based Analysis. Am J Gastroenterol 2021;116:1284-1293.

11. Dubinsky MC. Azathioprine, 6-mercaptopurine in inflammatory bowel disease: pharmacology, efficacy, and safety. Clin Gastroenterol Hepatol 2004;2:731-43.

12. Bradford K, Shih DQ. Optimizing 6-mercaptopurine and azathioprine therapy in the management of inflammatory bowel disease. World J Gastroenterol 2011;17:4166-73.

13. Ribeiro AC, Gerheim PSAS, Chebli JMF, et al. The Role of Pharmacogenetics in the Therapeutic Response to Thiopurines in the Treatment of Inflammatory Bowel Disease: A Systematic Review. Journal of Clinical Medicine 2023;12:6742.

14. Lim SZ, Chua EW. Revisiting the Role of Thiopurines in Inflammatory Bowel Disease Through Pharmacogenomics and Use of Novel Methods for Therapeutic Drug Monitoring. Front Pharmacol 2018;9:1107.

15. Sturm A, Maaser C, Mendall M, et al. European Crohn’s and Colitis Organisation Topical Review on IBD in the Elderly. Journal of Crohn’s and Colitis 2016;11:263-273.

16. Bayoumy AB, Ansari AR, Mulder CJJ, et al. Innovating Thiopurine Therapeutic Drug Monitoring: A Systematic Review and Meta-Analysis on DNA-Thioguanine Nucleotides (DNA-TG) as an Inclusive Biomarker in Thiopurine Therapy. Clin Pharmacokinet 2024;63:1089-1109.

17. Kucharzik T, Ellul P, Greuter T, et al. ECCO Guidelines on the Prevention, Diagnosis, and Management of Infections in Inflammatory Bowel Disease. J Crohns Colitis 2021;15:879913.

18. Gordon H, Biancone L, Fiorino G, et al. ECCO Guidelines on Inflammatory Bowel Disease and Malignancies. Journal of Crohn’s and Colitis 2022;17:827-854.

19. Deepak P, Alayo QA, Khatiwada A, et al. Safety of Tofacitinib in a Real-World Cohort of Patients With Ulcerative Colitis. Clin Gastroenterol Hepatol 2021;19:1592-1601.e3.

20. Winthrop KL, Vermeire S, Long MD, et al. Long-term Risk of Herpes Zoster Infection in Patients With Ulcerative Colitis Receiving Tofacitinib. Inflammatory Bowel Diseases 2022;29:85-96.

21. Sands BE, Peyrin-Biroulet L, Loftus EV, Jr., et al. Vedolizumab versus Adalimumab for Moderate-to-Severe Ulcerative Colitis. N Engl J Med 2019;381:1215-1226.

22. Sands BE, Irving PM, Hoops T, et al. Ustekinumab versus adalimumab for induction and maintenance therapy in biologic-naive patients with moderately to severely active Crohn’s disease: a multicentre, randomised, double-blind, parallel-group, phase 3b trial. Lancet 2022;399:2200-2211.

23. Peyrin-Biroulet L, Chapman JC, Colombel JF, et al. Risankizumab versus Ustekinumab for Moderate-to-Severe Crohn’s Disease. N Engl J Med 2024;391:213-223.

24. Feuerstein JD, Nguyen GC, Kupfer SS, et al. American Gastroenterological Association Institute Guideline on Therapeutic Drug Monitoring in Inflammatory Bowel Disease. Gastroenterology 2017;153:827-834.

25. Feuerstein JD, Ho EY, Shmidt E, et al. AGA Clinical Practice Guidelines on the Medical Management of Moderate to Severe Luminal and Perianal Fistulizing Crohn’s Disease. Gastroenterology 2021;160:2496-2508.

26. Adamina M, Bonovas S, Raine T, et al. ECCO Guidelines on Therapeutics in Crohn’s Disease: Surgical Treatment. J Crohns Colitis 2020;14:155-168.

27. Raine T, Bonovas S, Burisch J, et al. ECCO Guidelines on Therapeutics in Ulcerative Colitis: Medical Treatment. J Crohns Colitis 2022;16:2-17.

1. Koenen L, Waseem M. Orbital Floor Fracture. StatPearls. Treasure Island (FL): StatPearls Publishing Copyright © 2025, StatPearls Publishing LLC.; 2025.

2. Smith B, Lisman RD, Simonton J, et al. Volkmann’s contracture of the extraocular muscles following blowout fracture. Plast Reconstr Surg. 1984;74(2):200–16.

3. Waterhouse N, Lyne J, Urdang M, et al. An investigation into the mechanism of orbital blowout fractures. Br J Plast Surg. 1999;52(8):607–12.

4. Ahmad F, Kirkpatrick NA, Lyne J, et al. Buckling and hydraulic mechanisms in orbital blowout fractures: fact or fiction? J Craniofac Surg. 2006;17(3):438–41.

5. Damgaard OE, Larsen CG, Felding UA, et al. Surgical Timing of the Orbital “Blowout” Fracture: A Systematic Review and Meta-analysis. Otolaryngol Head Neck Surg. 2016;155(3):387–90.

6. Cena P, Raco I, Roccia F, et al. An 11-year multicentric surgical experience on pediatric orbital floor trapdoor fracture: A World Oral Maxillofacial Trauma (WORMAT) project. J Stomatol Oral Maxillofac Surg. 2025;126(1):102033.

7. Hsieh P-J, Liao H-T. Outcome Analysis of Surgical Timing in Pediatric Orbital Trapdoor Fracture with Different Entrapment Contents: A Retrospective Study. Children. 2022;9(3):398.

8. Døving M, Lindal FP, Mjøen E, et al. Orbital fractures. Tidsskr Nor Laegeforen. 2022;142(6).

9. Saggese NP, Mohammadi E, Cardo VA. The ‘White-eyed’ Orbital Blowout Fracture: An Easily Overlooked Injury in Maxillofacial Trauma. Cureus. 2019;11(4):e4412.

10. Bora V, Sood G, Dunville LM, et al. Oculocardiac Reflex. StatPearls. Treasure Island (FL): StatPearls Publishing Copyright © 2025, StatPearls Publishing LLC.; 2025.

11. Wei LA, Durairaj VD. Pediatric orbital floor fractures. J aapos. 2011;15(2):173–80.

12. Gerber B, Kiwanuka P, Dhariwal D. Orbital fractures in children: A review of outcomes. Br J Oral Maxillofac Surg. 2013;51(8):789–93.

13. Rosli AH, Nordin MH, Embong Z, et al. White-eyed blowout fracture, child in danger: A case report. Malays Fam Physician. 2022;17(1):78–81.

14. Grob S, Yonkers M, Tao J. Orbital Fracture Repair. Semin Plast Surg. 2017;31(1):31–9.

15. Oppenheimer AJ, Monson LA, Buchman SR. Pediatric orbital fractures. Craniomaxillofac Trauma Reconstr. 2013;6(1):9–20.

16. Christie B, Block L, Ma Y, et al. Retrobulbar hematoma: A systematic review of factors related to outcomes. J Plast Reconstr Aesthet Surg. 2018;71(2):155–61.

17. Ballard SR, Enzenauer RW, O’Donnell T, et al. Emergency lateral canthotomy and cantholysis: a simple procedure to preserve vision from sight threatening orbital hemorrhage. J Spec Oper Med. 2009;9(3):26–32.

18. Berg BI, Flury E, Thieringer FM, et al. Retrobulbar haematoma in the era of anticoagulants. Injury. 2019;50(10):1641–8.

19. Murali S, Davis C, McCrea MJ, et al. Orbital compartment syndrome: Pearls and pitfalls for the emergency physician. J Am Coll Emerg Physicians Open. 2021;2(2):e12372.

20. Kondoff M, Nassrallah G, Ross M, et al. Incidence and outcomes of retrobulbar hematoma diagnosed by computed tomography in cases of orbital fracture. Can J Ophthalmol. 2019;54(5):606–10.

21. Kumar S, Blace N. Retrobulbar Hematoma. StatPearls. Treasure Island (FL): StatPearls Publishing Copyright © 2025, StatPearls Publishing LLC.; 2025.

22. Kloss BT, Patel R. Orbital compartment syndrome from retrobulbar hemorrhage. Int J Emerg Med. 2010;3(4):521–2.

23. Amagasaki K, Tsuji R, Nagaseki Y. Visual recovery following immediate decompression of traumatic retrobulbar hemorrhage via transcranial approach. Neurol Med Chir (Tokyo). 1998;38(4):221–4.

24. Elghannam M, Hassan BA, Shams N, et al. Retrobulbar Hematoma: Presentation, Management, and Visual Outcomes. J Craniofac Surg. 2025;36(2):486–90.

25. Desai NM, Shah SU. Lateral Orbital Canthotomy. StatPearls. Treasure Island (FL): StatPearls Publishing Copyright © 2025, StatPearls Publishing LLC.; 2025.

26. Kramer V, Vounotrypidis E, Steinkohl C, et al. Retrospective evaluation of ocular injuries in fractures of the zygomaticoorbital complex in a level I trauma center: is primary specialized ophthalmologic examination always necessary? Int Ophthalmol. 2025;45(1):199.

27. Barry C, Coyle M, Idrees Z, et al. Ocular findings in patients with orbitozygomatic complex fractures: a retrospective study. J Oral Maxillofac Surg. 2008;66(5):888–92.

28. Richani K, Do TH, Merritt HA, et al. Screening Criteria for Detecting Severe Ocular Injuries in the Setting of Orbital Fractures. Ophthalmic Plast Reconstr Surg. 2019;35(6):609–14.

S176: CONGENITAL DUODENAL OBSTRUCTION: TRENDS IN TREATMENT AND PATIENT- REPORTED OUTCOMES

1. Treider M, Granheim S, Engebretsen AH, Pripp AH, Røkkum H, Skari H, et al. Congenital Duodenal Obstruction: National Trends in Management and Outcomes during the Last Quarter of a Century in Norway. Eur J Pediatr Surg. 2023.

2. Treider M, Engebretsen AH, Skari H, Bjørnland K. Is postoperative transanastomotic feeding beneficial in neonates with congenital duodenal obstruction? Pediatr Surg Int. 2021.

3. Røkkum H, Treider MA, Børke WB, Bergersen J, Lassen K, Støen R, et al. Enhanced recovery protocol for congenital duodenal obstruction - initial experiences with development and implementation. Pediatr Surg Int. 2024;41(1):49.

4. Treider MA, Røkkum H, Sæter T, Bjørnland K. “Gastrointestinal Quality of Life After Congenital Duodenal Obstruction Repair: A Nationwide Long-term Follow-up Study”. J Pediatr Surg. 2024:161938.

S181: DEN TAUSE LUFTLEKKASJEN – EN SJELDEN ÅRSAK TIL PNEUMOMEDIASTINUM

1. Banki F, Estrera AL, Harrison RG et al. Pneumomediastinum: etiology and a guide to diagnosis and treatment. Am J Surg. 2013 Dec;206(6):1001–6; discussion 1006. doi: 10.1016/j.amjsurg.2013.08.009. PMID: 24296102.

2. Lintz RM. Spontaneous mediastinal emphysema. Arch Intern Med (Chic). 1943;71(2):256–61. doi: 10.1001/archinte.1943.00210020122008.

3. Macklin MT, Macklin CC. Malignant interstitial emphysema of the lungs and mediastinum as an important occult complication in many respiratory diseases and other conditions: interpretation of the clinical literature in the light of laboratory experiment. Medicine (Baltimore). 1944;23(4):281–358.

4. Maunder RJ, Pierson DJ, Hudson LD. Subcutaneous and mediastinal emphysema: pathophysiology, diagnosis, and management. Arch Intern Med. 1984;144(7):1447–53.

5. Chehade AEH, Mansour W, Debal G et al. Pneumomediastinum and Air Travel: A Case Report in a Patient with Gardner’s Syndrome. Am J Respir Crit Care Med. 2018;197:A1795.

6. Caceres M, Ali SZ, Braud R, Weiman D et al. Spontaneous pneumomediastinum: a comparative study and review of the literature. Ann Thorac Surg. 2008;86(3):962-966.

7. Thuan PQ, Phuong PPP, Anh HPN et al. Surgical treatment of tension pneumomediastinum in patients with COVID-19: a report of two cases. J Cardiothorac Surg. 2022;17(1):117.

8. Sudarshan M, Cassivi SD. Management of traumatic esophageal injuries. J Thorac Dis. 2019;11(Suppl 2):S172-S177.

THE CARMYNE BLUE LINE

Indication: this medicinal product is for diagnostic use only. Carmyne is indicated in adults for the intra-operative detection of suspected ureteral injuries during abdominal and pelvic surgery.

Carmyne 40 mg – Plikttekst for Carmyne 40 mg «Indigokarmin» injeksjonsvæske, oppløsning Reseptgruppe C. Indikasjoner: Kun til bruk ved diagnostiske formål. Indisert hos voksne til intraoperativ påvisning av mistenkte ureterskader under abdominal kirurgi og bekkenkirurgi. Dosering: Anbefalt startdose er 1 ampulle på 5 ml ved langsom i.v. injeksjon. En andre ampulle kan injiseres 20 til 30 minutter etter den første injeksjonen, om nødvendig. Se SPC for spesielle pasientgrupper og administrasjonsmåte. Kontraindikasjoner: Overfølsomhet for innholdsstoffene. Forsiktighetsregler: Kan forårsake en forbigående økning av blodtrykket og refleksbradykardi, spesielt hos pasienter under generell anestesi eller under spinalanestesi. Sjeldne idiosynkratiske reaksjoner med bradykardi og hypotensjon er også rapportert. Det er derfor nødvendig å overvåke hjertefrekvens og blodtrykk under og noen minutter etter injeksjonen. I.v. injeksjon bør stoppes ved følgende symptomer: bradykardi, takykardi, hypotensjon, hypertensjon, utslett eller erytem, luftveissymptomer som dyspné eller bronkospasme. Har ikke blitt studert hos pasienter med GFR <30 ml/min, og bør derfor ikke brukes hos disse. Kan forstyrre puls eller cerebrale oksymetrimålinger. Bør brukes med forsiktighet ved: høyt blodtrykk, lav hjertefrekvens, hjerte- og ledningsforstyrrelser, samtidig bruk av legemidler som induserer bradykardi eller påvirker blodtrykket eller produksjonen av nitrogenoksid, koronare lidelser på grunn av dets perifere vasokonstriktoreffekt. Bruk bør unngås hos pasienter med: hemodynamisk ustabilitet, ukontrollert hjertesvikt, allergiske reaksjoner i anamnesen. Graviditet, amming og fertilitet: Graviditet: Ingen data. Anbefales ikke under graviditet og hos fertile kvinner som ikke bruker prevensjon. Amming: Overgang i morsmelk er ukjent. Risiko for diende barn kan ikke utelukkes. Nytte-/risikovurdering må foretas. Bivirkninger: Svært vanlig: Bradykardi, hypertensjon (forbigående). Svært sjeldne: Anafylaktoide reaksjoner, AV-blokk, bronkial hyperreaktivitet, dyspné, hypotensjon, misfarging av hud, utslett og erytem, takykardi. Overdosering/ Forgiftning: En overdose kan indusere en hypertensiv krise og alvorlig bradykardi. Ved overdosering kan det vurderes behandling med en perifer vasodilator.

For mer informasjon, se Felleskatalogteksten eller preparatomtalen (SPC)Innehaver av markedsføringstillatelsen: SERB S.A., Belgia. Kontaktinformasjon: Telefon: 003227920500. E-post: safety@serb.eu. Basert på SPC godkjent av DMP/EMA: 19.06.2024. Pakninger og priser per 17.07.2024: Ampulle 10 × 5 ml. 4713,00 kr. (priser og ev. refusjon oppdateres hver 14. dag). Refusjon: Ingen refusjon. Utarbeidet 07/2024

Turn static files into dynamic content formats.

Create a flipbook
Issuu converts static files into: digital portfolios, online yearbooks, online catalogs, digital photo albums and more. Sign up and create your flipbook.