Estrazione dei terzi molari - Dott. Youngsam Kim

Page 1

17 INDICE 1. I vantaggi nella chirurgia degli ottavi 29 Dott. Saverio Cosola DDS MSc PhD, Prof. Ugo Covani MD DDS DClinSurg 1.1 Nomenclatura dentale 30 1.2 Questo libro è stato scritto per aiutare i lettori a rimuovere i denti del giudizio 31 1.3 Riesci a rispettare questo tipo di trattamento? 32 1.4 Avere fiducia nella chirurgia del dente del giudizio è vantaggioso 35 per il successo del proprio studio 1.5 I pazienti si fideranno di più di voi se sarete esperti nella chirurgia dei denti del giudizio 35 1.6 Estrazione molare del giudizio = fiducia incondizionata nei confronti del dentista 37 1.7 Dolore nella zona di estrazione del dente del giudizio 40 1.8 Pazienti che vengono nella mia clinica con la fobia dei denti del giudizio 40 2. Interpretazione del terzo molare sulle radiografie panoramiche 45 Dott. Biagio Di Dino MD, DDS 2.1 Perché è stato scritto questo Capitolo 46 2.2 Valutazione del nervo alveolare inferiore (NAI) nelle immagini panoramiche 47 2.3 Il CNAI è un tessuto molle? 49 2.4 Paragoniamo il terzo molare e il CNAI alla corda dell’arco e alla freccia 52 2.5 Una radice può davvero essere piegata quando incontra il CNAI? 54 2.6 Casi con sovrapposizione visibile nelle radiografie panoramiche 55 2.7 Casi che sembrano sovrapposti radiograficamente... ma in realtà non lo sono 56 2.8 Estrazione del dente del giudizio in casi con sovrapposizione radiografica 58 con complicazioni minime 2.9 Casi con sovrapposizione sia radiografica che reale. 59 Radiotrasparenza intorno alla radice 2.10 La tipica “radiotrasparenza” 60 2.11 Confronto tra i due lati dell’arco mandibolare dove il CNAI 61 e il dente sembrano sovrapposti 2.12 Estrazione di un terzo molare con radiotrasparenza 62

3.

dei denti del

18 INDICE 2.13 Sezione della corona intenzionale 68 2.14 Deviazione del CNAI dovuta alla pressione del terzo molare 69 2.15 Estrazione di un terzo molare con segno di deviazione del NAI 71 2.16 Radiotrasparenza & Deviazione 72 2.17 Compressione e deviazione del NAI quando il canale del nervo è spinto e piegato 73 2.18 Compressione e deviazione del CNAI 74 2.19 Cartella clinica della paziente 76 2.20 Infiammazione intorno ai terzi molari 78 2.21 L’infiammazione cronica può alterare la posizione dei terzi molari 79 2.22 Dislocamento distale di un terzo molare incluso orizzontalmente 80 dovuto all’infiammazione adiacente 2.23 Grave restringimento dello spazio del legamento parodontale, 81 causato dalla compressione dell’apice 2.24 Casi più impegnativi 82 2.25 Più il paziente è anziano più alta è la probabilità che si verifichi una fusione maggiore 83 2.26 L’estrazione più lunga nel 2015 84 2.27 Fusione della radice del dente e dell’osso alveolare 85 2.28 L’infiammazione coronale può causare il riassorbimento dell’osso circostante 87 2.29 La radice del terzo molare e l’osso corticale linguale 88 2.30 Casi di terzi molari che vediamo comunemente 89 e che possono essere problematici se non estratti 2.31 Perché questa radice si è rotta? 90 2.32 Allargamento dello spazio del legamento parodontale 91 e radiotrasparenza intorno all’apice della radice? 2.33 Aspetta, solo il lato linguale? 92 2.34 Il segno di Youngsam nell’osso corticale vestibolare 93 2.35 Il significato del segno di Youngsam 94 2.36 Vari segni di Youngsam 95 2.37 Estrazione del terzo molare con il segno di Youngsam 98 2.38 Aspetti da considerare quando si estraggono i terzi molari con il segno di Youngsam 102 2.39 Allargamento dello spazio del legamento parodontale causato dalle carie 104 2.40 Infiammazione apicale o segno di Youngsam 105 2.41 Differenziazione dal dente permanente immaturo 106 2.42 Sembra il segno di Youngsam, ma… 107
giudizio 109 Dott. Saverio Cosola DDS MSc PhD, Dott. Young Min Park DDS MSc 3.1 Prima di tutto, cos’è la coronectomia? 110 3.2 Regole del dottor Youngsam Kim per lasciare le radici in sede 112 3.3 La vostra situazione giustifica le vostre azioni 113 3.4 Radici lasciate in sede da altri clinici tanto tempo fa 115 3.5 I denti oggigiorno sono usati perfino per innesti di osso 118 3.6 Una radice lasciata in sede 6 mesi fa da un altro ambulatorio 119 3.7 Follow-up di radici residue lasciate da me 120 3.8 Coronectomia intenzionale 126 3.9 Per il successo della coronectomia intenzionale 127 3.10 Studi relativi alla coronectomia 128 3.11 Coronectomia intenzionale (?) di qualcun altro 129 3.12 Coronectomia intenzionale: dente del giudizio inferiore incluso verticale 131
Coronectomie
19 3.13 Coronectomia intenzionale di denti del giudizio erotti 132 3.14 Coronectomia intenzionale: dente del giudizio incluso orizzontale 139 3.15 Coronectomia di denti del giudizio inclusi orizzontali 140 3.16 Coronectomia nei pazienti più anziani 146 3.17 Casi di coronectomia intenzionale senza follow-up 149 3.18 Coronectomia intenzionale: denti del giudizio mascellari inclusi 152 3.19 Rimozione della radice residua dopo una coronectomia intenzionale 157 3.20 Estrazione della radice residua dopo la coronectomia 158 3.21 L’estrazione della radice residua a seguito dell’estrazione fatta in altre cliniche 161 4. Anestesia, incisione, disegno del lembo chirurgico e sutura 167 Dott.ssa Enrica Giammarinaro DDS, Dott. Simone Marconcini DDS MSc PhD 4.1 Filosofia di base del dottor Youngsam Kim sulle estrazioni: abbi timore dell’insuccesso 168 4.2 Classico vassoio da estrazione in uso negli ospedali odontoiatrici OMS 169 4.3 Vassoio da estrazione in vari reparti di ospedali odontoiatrici OMS 171 4.4 Vassoi da estrazione in altri paesi stranieri 172 4.5 Alcune università proibiscono l’utilizzo dell’alta velocità 172 4.6 Estrazione eseguita da un chirurgo orale strutturato 173 presso il reparto odontoiatrico dell’università di Barcellona 4.7 Vassoio da estrazione presso l’Ospedale Odontoiatrico Universitario 174 di MeiKai a Saitama, Giappone 4.8 Vassoio da estrazione del reparto ospedaliero 175 di Odontoiatria dell’Università di Pechino 4.9 Università della California a Los Angeles (UCLA) reparto odontoiatrico 176 ospedaliero OMS, vassoio da estrazione 4.10 Vassoio da estrazione del dottor Kim per i terzi molari 179 4.11 I 3 strumenti essenziali da estrazione a esclusione del vassoio di estrazione di base 180 4.12 Dobbiamo curettare l’alveolo in maniera aggressiva dopo un’estrazione? 181 4.13 Anestesia per l’estrazione del terzo molare 182 4.14 Strumenti da anestesia del dottor Kim per l’estrazione del terzo molare 182 4.15 Procedura di disinfezione del dottor Kim 184 4.16 Quale ago usare? 184 4.17 Il mio ago di riferimento 185 4.18 Come usare l’ago 185 4.19 Come somministro l’anestesia tronculare 186 4.20 Le differenze anatomiche sono comuni, potreste causare danni ai tessuti 187 4.21 Somministrate una sufficiente dose di anestesia locale 188 per infiltrazione sulla superficie linguale 4.22 Quando applicate troppa forza… 189 4.23 Siringa di metallo che uso: notate che l’uncino è stato rimosso 189 4.24 Somministrare l’anestesia intrapulpare 190 4.25 Incisione e sutura per l’estrazione dei terzi molari 192 4.26 Lama di prima scelta del dottor Kim 192 4.27 Incisione del dottor Kim 193 4.28 Filosofia del dottor Kim nell’esecuzione dell’incisione 194 4.29 Estendere la linea di incisione sulla superficie mesiale 196 4.30 Filosofia del dottor Kim sull’esecuzione di un’incisione 197 4.31 Nervi intorno alla mandibola e al decorso del nervo linguale 198 4.32 Il decorso variabile del nervo linguale 199 INDICE
20 INDICE 4.33 Linea di incisione della superficie distale 200 o vicino alla superficie linguale del terzo molare 4.34 È questo il nervo linguale? 201 4.35 Strumenti accessori 202 4.36 Studio di un caso dopo l’estrazione in cui ho dovuto usare il bisturi 203 per rimuovere il legamento parodontale attaccato alla superficie distale del terzo molare 4.37 La sutura che uso 205 4.38 La sutura di nylon che uso 206 4.39 Casi di incisione e sutura per l’estrazione del terzo molare 208 4.40 Estendere la linea di incisione fino alla superficie mesiale 214 4.41 Estendere la linea di incisione fino alla superficie mediale del VII 217 4.42 Estendere la linea di incisione fino alla superficie mediale tra il VI e il VII 219 4.43 Quanto estendere un lembo mucoperiosteo dopo aver fatto un’incisione? 221 4.44 Lembo mucoperiosteo e rimozione di osso buccale per l’estrazione del terzo molare 221 4.45 Lembo mucoperiosteo del dottor Kim e rimozione di osso buccale 222 4.46 Metodo di esecuzione del lembo mucoperiosteo e rimozione 223 di osso buccale raccomandato per i dentisti neofiti 4.47 Lembo mucoperiosteo e rimozione di osso buccale raccomandato da chirurghi orali 224 4.48 Il dottor Kim e il terzo molare 225
227
Dott. Tommaso Fattorini DDS MSc, Dott. Saverio Cosola DDS MSc PhD 5.1.1 Leva per l'estrazione del dente del giudizio 228 5.1.2 Leva del dottor Kim 228 5.1.3 Leve raccomandate dai miei colleghi 229 5.1.4 Leve che uso occasionalmente 230 5.1.5 Come usare la leva 231 5.1.6 La base dell’estrazione è il principio di leva 232 5.1.7 La leva non dovrebbe mai scivolare! 232 5.1.8 Se mi fosse concesso un solo strumento, userei solo questo 233 5.1.9 La mia storia umiliante 234 5.1.10 Leva Hu-Friedy EL5C con punta più ampia 235 5.1.11 Confronto dell’ampiezza tra varie leve 236 5.1.12 Pinze per l’estrazione del dente del giudizio 237 5.1.13 Pinze del dottor Youngsam Kim 237 5.1.14 Confronto tra l’uncino della diga di gomma e i becchi della pinza 238 5.1.15 Presso lo studio del dottor TaeHee Lee in Australia… 239 5.1.16 Prodotti della Hu-Friedy 240 5.1.17 Pinze della Hu-Friedy con becco piccolo 241 5.1.18 Principi di base dell’estrazione del dente del giudizio usando le pinze 242 5.1.19 Cercate di avere una presa salda sul dente con le pinze 242 5.1.20 Considerate sempre il dente antagonista quando usate le pinze 244 5.1.21 Le pinze servono per fare torsione, non per tirare 245 5.1.22 Non esercitate mai una pressione sull’ATM 246 5.1.23 La torsione dipende dalla morfologia della radice 246 5.1.24 Considerate il centro di rotazione quando esercitate una torsione con le pinze 247 5.1.25 Come minimizzare la pressione sull’ATM 248
5.1. Come usare correttamente gli strumenti da estrazione
“leva, manipolo e pinze”

5.2.

21 5.1.26 Manipolo e fresa per l’estrazione dei denti del giudizio 249 5.1.27 Il manipolo del dottor Youngsam Kim 249 5.1.28 Ricontrolliamo l’anatomia del manipolo ad alta velocità 250 5.1.29 La fresa preferita del dottor Youngsam Kim 252 5.1.30 Frese chirurgiche rotonde a mandrino lungo: i loro numeri e i loro diametri 252 5.1.31 La differenza tra la fresa n. 5 (016) e la fresa n. 6 (018) 253 5.1.32 Frese di Lindemann usate frequentemente 255 5.1.33 Utilizzo della fresa chirurgica di Lindemann 256 5.1.34 Utilizzo della fresa chirurgica di Lindemann con taglio delle radici e obliquo 258 5.1.35 Estrazione del dente del giudizio 260 utilizzando la fresa diamantata - Di produzione coreana 5.1.36 Estrazione del dente del giudizio 261 utilizzando una fresa diamantata - Di produzione giapponese 5.1.37 Estrazione del dente del giudizio utilizzando una fresa a pallina diamantata 263 con mandrino lungo 30 mm 5.1.38 Le frese a pallina da manipolo a bassa velocità del dottor Kim 265 5.1.39 Fresa di Lindemann per manipolo a bassa velocità 266 5.1.40 La tecnica di estrazione del dottor Youngsam Kim 267
269
bassa
Dott. Tommaso Fattorini DDS MSc, Dott. Saverio Cosola DDS MSc PhD 5.2.1 Estrazione dei denti del giudizio utilizzando il manipolo dritto a bassa velocità 270 5.2.2 Tecnica di estrazione dei denti del giudizio comuni 270 utilizzando il manipolo a bassa velocità 5.2.3 Tecnica di estrazione con taglio della corona (divisione verticale) 272 utilizzando il manipolo dritto 5.2.4 Tecnica di estrazione con odontotomia orizzontale 273 5.2.5 Un caso di un’estrazione di un dente del giudizio, utilizzando il manipolo dritto, 278 da parte di un altro dentista 5.2.6 Tecnica di estrazione con divisione orizzontale utilizzando il manipolo dritto 279 5.2.7 Casi di estrazione utilizzando una combinazione tra divisione orizzontale e verticale 282 5.2.8 A cosa stare attenti sezionando la corona 284 5.2.9 Dilemma del parodontologo comune 285 5.2.10 Approccio all'estrazione utilizzando il manipolo a bassa velocità 286 5.2.11 Estrazione dei denti del giudizio utilizzando il manipolo a 45° 287 5.2.12 Manipolo ad alta velocità a 45° 287 5.2.13 Tecnica di estrazione con divisione orizzontale usando il manipolo a 45° 288 5.2.14 Tecnica di estrazione con divisione della corona utilizzando il manipolo a 45° 289 5.2.15 I denti a radice singola o a radici fuse non vengono facilmente sezionati 290 in due segmenti 5.2.16 Tecnica di taglio della corona utilizzando il manipolo a 45° 291 5.2.17 Tecnica di taglio cervicale utilizzando il manipolo a 45° 292 5.2.18 Estrazione usando il manipolo contrangolo a bassa velocità 293 5.2.19 Utilizzo del manipolo moltiplicatore 1:5 a bassa velocità 296 5.2.20 Aumento di fornitura di manipoli moltiplicatori a bassa velocità 1:5 299 5.2.21 Estrazioni utilizzando il manipolo a bassa velocità moltiplicatore 1:5 a 45° 300 INDICE
Estrazione dei denti del giudizio utilizzando il manipolo
a
velocità
22 INDICE 6. Estrazione di terzi molari inferiori inclusi normo-inclinati 303
6.1 Classificazione dei terzi molari mandibolari inclusi verticali (normoinclinati) 304 6.2 Come realizzare la linea di incisione 305 per terzi molari inclusi verticalmente (normoinclinati) 6.3 Estrazione dei terzi molari inferiori completamente erotti 305 6.4 Uso delle pinze per l'estrazione di terzi molari inferiori completamente erotti 306 6.5 Basi del posizionamento delle pinze per l'estrazione di terzi molari inferiori 307 6.6 Esempi di utilizzo delle pinze per estrarre 308 terzi molari inferiori completamente erotti 6.7 Movimenti delle pinze per i terzi molari inferiori 309 6.8 Codici QR per video 310 6.9 Estrazione di terzi molari inferiori erotti parzialmente coperti da gengiva 311 6.10 Estrazione di denti del giudizio inclusi verticalmente tramite leve 312 6.11 Dove impegnare la leva? 313 6.12 Video riguardanti estrazioni effettuate impegnando la leva 314 tra il secondo e il terzo molare 6.13 Per quanto riguarda i denti inferiori inclusi verticalmente, 314 applicate la leva in questo modo! 6.14 Come posizionare la leva sul lato buccale? 315 6.15 Estrazione dei denti del giudizio inclusi verticalmente tramite la leva 316 6.16 Estrazione del #38 (U.S. 17) un mese dopo l'estrazione del #48 (U.S. 32) 317 nello stesso paziente 6.17 Estrazione di denti del giudizio inferiori inclusi normoinclinati tramite leva 319 6.18 Estrazione di denti del giudizio inclusi verticalmente tramite leva 321 6.19 Estrazione di terzi molari mandibolari inclusi verticalmente 328 completamente coperti da tessuti molli 6.20 Estrazione di terzi molari inferiori inclusi verticali 328 completamente coperti da tessuto molle 6.21 Taglio della corona distale (separazione della porzione distale della corona) 329 6.22 Suggerimenti importanti per il taglio della porzione distale della corona 330 6.23 Regole di base del dottor Youngsam Kim - taglio dei denti 331 6.24 Vari metodi di taglio per l'estrazione del dente del giudizio 332 6.25 Taglio del dente (sezioni) #48 334 6.26 Perché dovremmo tagliare un millimetro in più sul lato vestibolare 335 e un millimetro in meno sul lato linguale? 6.27 Sezionamento della corona distale (taglio della corona distale) 337 6.28 Analisi dei denti estratti usando la tecnica del taglio della corona distale 339 6.29 Casi di taglio della corona distale che dipendono dall'esposizione della corona 340 6.30 Ulteriori casi in base all’inclinazione 341 6.31 Ulteriori casi di sezionamento della corona distale (taglio della corona distale) 342 6.32 Estrazione complicata di un terzo molare mandibolare verticale 345 6.33 Estrazioni complicate di terzi molari mandibolari inclusi verticalmente 345 (con attacco parodontale molto forte) 6.34 Invio di un paziente da parte di un’altra clinica per un’estrazione 346 6.35 Estrazione di terzi molari mandibolari erotti verticalmente 347 tramite separazione della corona (sezionamento verticale) 6.36 Estrazione di terzi molari mandibolari erotti verticalmente 349 tramite separazione a metà 6.37 Tentativi di sezionamento verticale per separare le radici 350
23 6.38 Estrazione di terzi molari mandibolari erotti verticalmente 351 con sezionamento cervicale (sezionamento orizzontale) 6.39 Ulteriori casi di estrazione di terzi molari mandibolari erotti verticalmente 354 con sezionamento cervicale (sezionamento orizzontale) 7. Estrazione di denti del giudizio inclusi mesio-inclinati 357 Dott. Saverio Cosola DDS MSc PhD, Prof. Angelo Cardarelli DDS MSc 7.1 Difficoltà di estrazione dei denti del giudizio 358 7.2 Considerazioni e rischi nelle estrazioni degli ottavi 359 7.3 In uno stesso dente del giudizio, spesso le distanze considerate dai clinici sono diverse 360 7.4 Estrazione di terzi molari inclusi mesioinclinati (casi complicati) 361 7.5 Esempi di estrazione secondo la tecnica tipica del chirurgo orale 362 7.6 Corso di estrazione di terzi molari, comparazione di casi di chirurgia dal vivo 363 7.7 Come sezionare i terzi molari inclusi mesio-inclinati 364 7.8 Taglio della corona 366 7.9 Inclusione dei denti mesio-inclinati 366 7.10 Casi di denti inclusi inclinati mesialmente 367 7.11 È facile rimuovere la parte mesiale di una corona anche se la parte visibile è piccola 369 7.12 Quando i denti del giudizio non sono visibili 371 7.13 È normale che il lato linguale sia tagliato meno 373 7.14 Caso di dente incluso mesio-inclinato - taglio della corona mesiale 374 7.15 Divisione verticale della porzione mesiale della corona 376 7.16 Divisione verticale della porzione mesiale della corona tagliata: 377 se il secondo molare ha un sottosquadro severo 7.17 Divisione verticale della porzione tagliata della corona mesiale 378 7.18 Divisione intenzionale o divisione spontanea 379 7.19 Esercizi di estrazione più semplici per i principianti 380 7.20 Estrazione di terzi molari inclusi mesio-inclinati con le pinze: caso 1 381 7.21 Estrazione di terzi molari inclusi mesio-inclinati con le pinze: caso 2 382 7.22 L’abitudine di fare foto con gli strumenti usati 384 7.23 Estrazione di terzi molari con le pinze dopo leggera rimozione della superficie mesiale 386 7.24 Vari tipi di estrazione dei denti del giudizio mesio-inclinati e inclusi 387 7.25 Cosa fare se la leva o le pinze non possono essere usate 388 dopo aver eliminato la porzione mesiale della corona? 7.26 Estrazione di due segmenti (emisezionamento) di denti mesio-inclinati 389 7.27 Caso di estrazione di radici dopo rimozione della corona nell'inclusione mesiale 390 7.28 Se la superficie occlusale del dente del giudizio è più alta della superficie occlusale del VII 391 7.29 Sollevamento e taglio 392 7.30 Processo di sollevamento e taglio 393 7.31 Angolo di visione diverso dopo sollevamento e taglio 395 7.32 Sollevamento e taglio della radice 398 7.33 Da sollevamento e taglio alla naturale separazione delle radici 399 7.34 Se la divisione radicolare è netta 403 7.35 Separazione delle radici con leve 404 7.36 Il taglio obliquo è un'odontotomia o un'incisione? 405 7.37 Taglio obliquo 405 7.38 Vantaggi del taglio obliquo 407 7.39 Un confronto delle superfici vestibolare e linguale del dente del giudizio 411 estratto con taglio obliquo INDICE
24 INDICE 7.40 Visione cross sezionale del taglio obliquo da un angolo differente 412 7.41 Terzi molari inclusi in profondità normo-inclinati e mesio-inclinati 415 7.42 Taglio linguale della corona 416 7.43 Metodo di taglio dei denti del giudizio inclusi verticalmente in profondità 416 7.44 Estrazione di denti del giudizio inclusi verticalmente in profondità 417 7.45 Casi di taglio linguale della corona leggermente differenti dal taglio obliquo 419 7.46 Metodo di taglio della corona 421 7.47 Taglio disto-cervicale: introduzione 422 7.48 Taglio disto-cervicale 422 7.49 Processo di taglio disto-cervicale 423 7.50 La fresa chirurgica rotonda n. 4 è la più utile nel taglio disto-cervicale 425 7.51 Casi di taglio disto-cervicale 426 7.52 Taglio disto-cervicale ed estrazione a L 427 7.53 Estrazione a L 428 7.54 Esempi radiografici del processo di estrazione a L 429 7.55 Caso di estrazione a L: entrambi i lati nello stesso intervento 430 7.56 Casi di estrazione a L 432 7.57 Caso presentato da uno studente a un corso 435 7.58 Cosa fare se il dente si rompe durante l'estrazione? 436 Estrazione dopo aver sezionato il dente in tre parti 7.59 Estrazione con sezionamento in tre parti dopo il taglio disto-cervicale 437 7.60 Caso di divisione della corona in tre parti 438
Denti inclusi orizzontali 439 Dott. Lorenzo Degl’Innocenti DDS, Dott. Simone Marconcini DDS MSc PhD 8.1 Metodi di incisione per denti inclusi orizzontalmente 440 8.2 Taglio della corona nei denti del giudizio 441 8.3 Taglio della corona del dente del giudizio 442 8.4 Panoramica sul taglio coronale secondo la forma e la grandezza della fresa 442 8.5 Taglio della corona con un solo taglio 443 8.6 Taglio della corona eseguito completamente in un’unica fase: casi clinici 444 8.7 Strumenti usati per fratturare la corona durante l’estrazione 445 8.8 Estrazione del dente del giudizio in un paziente in trattamento ortodontico 446 8.9 Limitazione dell'angolazione del manipolo durante l'estrazione del dente del giudizio 447 8.10 Taglio della corona - divisione orizzontale 448 8.11 Divisione orizzontale del dente del giudizio: casi clinici 450 8.12 Maggiore visibilità ottenuta grazie alla divisione orizzontale della corona 451 8.13 Divisione verticale 452 8.14 Divisione verticale e riferimento alla superficie sezionata 453 8.15 Visione in sezione della divisione verticale del dente 454 8.16 Casi clinici di divisione verticale 455 8.17 Divisione verticale della corona con taglio orizzontale 456 8.18 Perché la rotazione? 457 8.19 Visualizzazione della sezione di divisione verticale-orizzontale 458 8.20 Casi clinici di divisione verticale e orizzontale 459 8.21 Dividete la corona in pezzi 460 8.22 Dividere la corona in pezzi: casi clinici 461 8.23 Taglio obliquo 463 8.24 Divisione a zig-zag della corona 463
8.
25 8.25 Taglio obliquo per rimuovere la corona comprendendo il punto di contatto linguale 464 8.26 Casi clinici di taglio obliquo 465 8.27 Sollevamento e taglio 468 8.28 Metodi di sollevamento e taglio 469 8.29 Casi clinici di sollevamento e taglio di denti del giudizio inclusi orizzontali 470 8.30 Separazione delle radici: introduzione 473 8.31 Separazione delle radici 474 8.32 Casi clinici di separazione delle radici 475 8.33 Dislocazione del dente con una leva e successiva separazione delle radici 478 8.34 Casi clinici di separazione delle radici 479 8.35 Taglio disto-cervicale: introduzione 481 8.36 Taglio disto-cervicale 481 8.37 Casi clinici presentati nel capitolo sulla radiologia 482 8.38 Casi clinici di taglio disto-cervicale 483 8.39 Tre casi consecutivi di estrazione del #48 con taglio disto-cervicale 484 8.40 Taglio disto-cervicale e l'estrazione a L: introduzione 485 8.41 Taglio disto-cervicale ed estrazione a L 486 8.42 Estrazione a L mediante il taglio disto-cervicale 487 8.43 Estrazione a L mediante il taglio disto-cervicale: casi clinici 488 8.44 Taglio disto-cervicale con taglio obliquo: casi clinici 489 8.45 Estrazione a L eseguita in entrambi i denti del giudizio inclusi orizzontalmente 490 8.46 Casi di applicazione dell'estrazione a L: la radice distale è divergente e curva apicalmente 491 8.47 Casi di errore di taglio disto-cervicale ed estrazioni a L in entrambi i denti 494 del giudizio inclusi orizzontalmente 8.48 Estrazione in 3 pezzi o trisezionale 495 8.49 Estrazione in tre pezzi 495 8.50 Casi clinici di rimozione in 3 pezzi 496 8.51 Denti monoradicolati che sembrano multiradicolati 498 8.52 Una severa infiammazione vicino alla zona cervicale 499 della corona si traduce spesso nell’anchilosi della radice 8.53 Separazione in 3 pezzi di un dente pluriradicolato 500 8.54 Taglio disto-cervicale seguito dalla separazione delle radici 501 8.55 Separazione in 3 pezzi di un dente pluriradicolato 502 8.56 Rimuovere prima la radice collocata apicalmente 503 8.57 Rimuovere la radice collocata apicalmente è una priorità 504 (solo nella mia tecnica di estrazione) 8.58 Separazione radicolare in alcuni casi clinici 505 8.59 Separazione radicolare in alcuni casi clinici: quando una radice residua 508 è difficile da rimuovere (per esempio a forma di pinna da nuoto) 8.60 Separazione radicolare in alcuni casi clinici: dente a tre radici 509 8.61 Creare un punto di ingaggio sulla radice dal lato occlusale 510 8.62 Taglio disto-cervicale a livello della radice 510 8.63 Taglio disto-cervicale in denti del giudizio pluriradicolati 511 8.64 Taglio disto-cervicale a livello della radice in alcuni casi clinici 512 8.65 Creare un solco tra le radici (estrazione con screw driver a testa piatta) 517 8.66 Taglio mix and match 520 8.67 Estrazione di un dente del giudizio ruotato 521 8.68 Estrazione di un dente del giudizio incluso orizzontale ruotato 522 8.69 Estrazione di un dente del giudizio inclinato lingualmente 524 8.70 Estrazione di un dente del giudizio fortemente inclinato lingualmente 525 8.71 Estrazione di un dente del giudizio con sviluppo incompleto 526 INDICE

9. Terzi molari superiori

26 INDICE
529
9.1 Pinze da estrazione 530 9.2 Come impugnare la pinza Hu-Friedy 10S 530 9.3 La pinza deve essere impugnata saldamente 532 9.4 Precauzioni da attuare per evitare il danneggiamento dei denti adiacenti 532 9.5 Direzione del movimento della pinza 533 9.6 Direzione dell’azione della pinza 534 9.7 Precauzioni per la zona distale dei secondi molari superiori 535 quando i denti del giudizio sono erotti con una inclinazione vestibolare o palatale 9.8 Precauzioni nei casi di terzi molari superiori ruotati 536 9.9 Visione assiale della zona cervicale del dente, in corrispondenza 537 della quale vengono posizionati i becchi della pinza 9.10 Casi clinici in cui l’impiego della pinza è molto utile 538 9.11 Pinze per evitare danni ai denti adiacenti 539 9.12 Utilità nell’estrazione di denti di piccole dimensioni 540 9.13 Estrazione mediante leve 541 9.14 Il mio “cavallo di battaglia”: la leva Hu-Friedy EL3C 542 9.15 Come usare la leva 543 9.16 Posizionare la leva tra #7 e #8? 544 9.17 Quando posizionare la leva tra #7 e #8? 545 9.18 Estrazione mediante leva in questi casi clinici 546 9.19 Estrazioni semplici che possono essere eseguite con o attraverso l’ausilio della leva 547 9.20 Inclusione ossea totale di terzi molari superiori 548 9.21 Lembo di accesso per denti inclusi 549 9.22 Estrazione dei denti del giudizio in inclusione ossea 550 9.23 Tre casi clinici di terzi molari superiori, diversi per inclinazione e profondità di inclusione 553 9.24 Una leva accessoria come aiuto in alcuni casi clinici 554 9.25 Terzi molari superiori cariati 555 9.26 Casi clinici in cui rimuovere l’osso alveolare per l’estrazione dei terzi molari superiori 556 9.27 Odontotomia di terzi molari superiori 557 9.28 Uso del manipolo dritto a bassa velocità 557 9.29 Caso clinico di un terzo molare superiore in cui è necessario rimuovere 558 parte del tessuto osseo in prossimità del piano occlusale 9.30 Quando usare il manipolo dritto ad alta velocità in caso 559 di estrazione di terzi molari superiori 9.31 Utilizzo del manipolo dritto per l’estrazione di terzi molari inferiori/superiori inclusi 560 9.32 Tecnica simile che uso per l'estrazione dei denti del giudizio inferiori 561 9.33 Uso del manipolo dritto per terzi molari superiori angolati mesialmente 562 9.34 Caso clinico di terzo molare superiore in stretto contatto 563 con la porzione distale del secondo molare superiore 9.35 Estrazioni anche in viaggio 564 9.36 Presenza di denti soprannumerari 565 9.37 Quarti molari 566 9.38 Estrazione di molari soprannumerari, casi clinici 567 9.39 Caso clinico in cui ho preferito non estrarre il 4° molare 569 9.40 Quinti molari 570
27 10. Problematiche connesse all’estrazione dei terzi molari 573
10.1 La frattura delle frese chirurgiche a pallina 574 10.2 La frattura delle frese chirurgiche a fessura 575 10.3 Caso clinico di frattura di una fresa chirurgica a pallina 576 10.4 Frattura di corpi estranei di vario genere 578 10.5 Ustione da ghiaccio 578 10.6 Infiammazione dell’alveolo 580 10.7 Drenaggio per infezione prolungata 582 10.8 Cause di suppurazione 583 10.9 Dolore severo dopo l’estrazione del #38 585 10.10 Dolore e alitosi dopo l’estrazione 585 10.11 Materiali 586 10.12 Teruplug e la sua efficacia 587 10.13 Perforazione del seno mascellare 588 10.14 Lesione al nervo linguale 589 10.15 Parestesia del nervo alveolare inferiore (NAI) 590 10.16 Casi recenti 592 10.17 Parestesia del nervo alveolare inferiore causata da parodontite apicale 593 10.18 Frattura del tuber mascellare 594 10.19 Frattura interradicolare dei terzi molari inferiori 596 10.20 Frattura della corticale linguale 597 10.21 Esposizione del muscolo miloioideo 599 10.22 Domande frequenti 602 10.23 Formazione di una protrusione ossea dopo l’estrazione del terzo molare 603 10.24 La causa dell’esposizione dell’osso linguale dopo l’estrazione del terzo molare 604 10.25 L’osso linguale si frattura facilmente 605 10.26 Problemi comuni e gestione del caso 606 10.27 Esposizione dell’osso linguale dopo l’estrazione del secondo e del terzo molare 607 10.28 Casi di inclusione linguale 608 10.29 Rimozione della corticale ossea linguale 609 10.30 Frattura dell’osso corticale linguale 610 10.31 Formazione di un mucocele a seguito di un’estrazione 611 10.32 La miglior gestione per l’estrazione dei denti del giudizio 612 10.33 Le istruzioni postoperatorie vengono fornite e inviate anche via SMS / e-mail 613 10.34 Istruzioni postoperatorie per il paziente 613 10.35 Prescrizioni farmacologiche 613 11. Considerazioni dell'Istituto Stomatologico Toscano Appendice 615 Prof. Ugo Covani MD DDS DClinSurg 11.1 Introduzione 616 11.2 Cisti dentigera (follicolare) 616 11.3 La cheratocisti odontogena 616 11.4 L’ameloblastoma 617 11.5 Complicanze a carico del settimo molare 619 INDICE
Dott.ssa
Michela Boccuzzi DDS MSc, Dott. Young Min Park DDS MSc

Estrazione dei denti del giudizio utilizzando il manipolo a bassa velocità

Dott Tommaso Fattorini

Laureato in Odontoiatria e Protesi Dentaria presso l’Università di Pisa nel 2016 nel 2016 con voto 110/110 il Dr. Fattorini ha conseguito inoltre il Master in Chirurgia Orale e Odontostomatologica d’urgenza presso la medesima Università nell’anno accademico 2018-2019. Ha partecipato come corsista al ‘Corso pratico di tecnica chirurgica impiantare su paziente’ tenuto dal Prof. Ugo Covani nel 2019 a Porto (Portogallo). Attualmente lavora come libero professionista presso ‘Studio odontoiatrico Dr. Franceschi-Dr.Fattorini’ a Pisa.

Dott Saverio Cosola

Laureato con 110 e Lode in Odontoiatria e Protesi Dentaria presso l’Università di Pisa nel 2016, Master in Implantologia nell’anno accademico 2016/2017, nel medesimo ateneo. Consegue nel 2022 un dottorato di ricerca (PhD) presso l’Università di Valencia (Spagna) in cotutela con l’Istituto Stomatologico Toscano (IST) diretto dal Prof. Ugo Covani. Coordinatore dei Master in "Trattamento Parodontale non Chirurgico" e in "Implantology and Third Molar Extraction" presso la UniCamillus University di Roma in collaborazione con IST dove svolge attività di ricerca e contribuisce, dal 2018, alla didattica dei corsi "post-graduate". Ha partecipato in qualità di relatore a diversi congressi nazionali e internazionali contando numerose pubblicazioni scientifiche di rilievo, oltre a libri di testo. Svolge libera professione principalmente a Montecatini, specializzando in Chirurgia Orale presso l'Università Vita-Salute San Raffaele, Milano.

269
CAPITOLO 5.2

Utilizzo principalmente il manipolo ad alta velocità per l'estrazione dei denti del giudizio; i manipoli a bassa velocità, invece, sono principalmente utilizzati come strumenti ausiliari nell'estrazione di apici radicolari o nella rimozione di osso alveolare vestibolare e non fanno parte del kit primario per l'estrazione dei denti del giudizio, eccetto che in particolari ospedali odontoiatrici universitari.

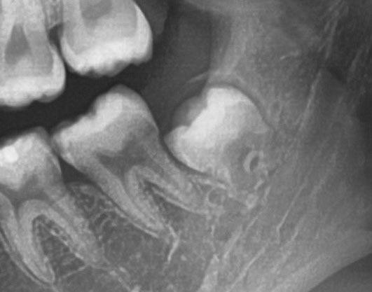
L'estrazione eseguita utilizzando manipoli a bassa velocità verrà trattata brevemente in questo capitolo, senza nessun particolare approfondimento. Si consiglia perciò ai principianti di andare avanti fino al prossimo capitolo. Fig. 134

tecnica prevede la rimozione di una significativa quantità di osso vestibolare e di dente, con lo scopo di non avere impedimenti durante l’estrazione. Figg. 135, 136

Molti dentisti sembrano trovare questa tecnica stimolante, tuttavia un errore nella valutazione degli spazi può portare ad un’eccessiva rimozione di osso. Ho eseguito numerose estrazioni seguendo questa tecnica, ma la trovo inefficiente e invasiva. Inoltre, molti clinici che la utilizzano riportano che questa tecnica ha spesso come conseguenza sanguinamento post-operatorio, gonfiore e danni transitori al nervo alveolare.

Taglio della corona (divisione verticale)

Prima viene rimossa la corona del dente, poi si rimuove l’osso vestibolare senza alcuna divisione orizzontale. Comunque, dal momento che la fresa e il corpo del manipolo a bassa velocità giacciono su una linea parallela senza angolo, è richiesta un’eccessiva rimozione di osso vestibolare durante la divisione del dente e questo, conseguentemente, porta a complicanze post-operatorie come sanguinamento, gonfiore e danno al nervo. Figg. 137, 138

Divisione orizzontale

Questa è una tecnica in cui il dente viene completamente sezionato orizzontalmente per rimuoverne la metà superiore e in seguito la metà inferiore. Questa

Un’errata valutazione dello spazio può portare a problemi nella divisione del dente utilizzando il manipolo dritto e a una rimozione eccessiva di osso. Il manipolo dritto può essere d’aiuto nell’estrazione di denti inclusi orizzontali, in presenza di una grande quantità di osso alveolare al di sopra del dente o di denti che sono inclusi in profondità nell’osso alveolare, quando l’utilizzo di manipoli ad alta velocità diventa più familiare; fidatevi, usate quest’ultimo. Utilizzo spesso questa tecnica per l’estrazione di terzi molari superiori.

Estrazione dei denti del giudizio utilizzando il manipolo a bassa velocità 270 CAPITOLO 5.2
5.2.1 Estrazione dei denti del giudizio utilizzando il manipolo dritto a bassa velocità
5.2.2 Tecnica di estrazione dei denti del giudizio comuni utilizzando il manipolo a bassa velocità
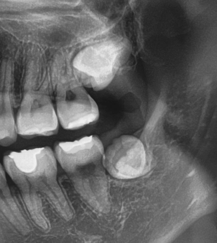
Fig. 134 - Estrazione dei denti del giudizio utilizzando il manipolo dritto a bassa velocità. Fig. 134

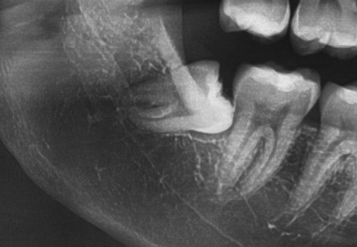
Figg. 135, 136 - Divisione orizzontale: questa è una tecnica in cui il dente viene completamente sezionato orizzontalmente per rimuoverne la metà superiore e in seguito la metà inferiore.

Figg. 137,138 - Taglio della corona (divisione verticale): prima viene rimossa la corona del dente, poi si rimuove l'osso vestibolare senza alcuna divisione orizzontale.

ATTENZIONE!

Questo schema illustra la quantità di dente rimosso (sezionamento della corona), l’angolo di accesso e la direzione dell’estrazione del dente. Fig. 139

Il blu indica la quantità di dente rimosso quando esso viene sezionato orizzontalmente, mentre il rosso quando è sezionato verticalmente.

Fig. 139 - Questo schema illustra la quantità di dente rimosso (sezionamento della corona), l'angolo di accesso e la direzione dell'estrazione del dente.

271
Fig. 135 Fig. 136 Fig. 137 Fig. 138 Fig. 139

5.2.3 Tecnica di estrazione con taglio della corona (divisione verticale) utilizzando il manipolo dritto

In questo caso, il manipolo dritto che è stato usato per estrarre il dente del giudizio mascellare incluso, è stato sfruttato anche per estrarre il dente del giudizio inferiore per minimizzare il numero di strumenti utilizzati. Figg. 140-142

Raramente utilizzo il manipolo ad alta velocità per l’estrazione di un elemento mascellare, tranne che

in casi specifici. Comunque, può essere molto utile laddove la corona del dente del giudizio è inclusa lingualmente. Questa tecnica ha però degli svantaggi: non è una tecnica versatile che può essere utilizzata in diverse situazioni cliniche e implica una maggiore rimozione di osso vestibolare. Sebbene alcuni clinici abbiano opinioni diverse relativamente alle loro preferenze e alle loro tecniche, basandomi sulla mia esperienza, questa non è la tecnica più pratica. Essa, infatti, è più frequentemente usata nelle estrazioni dei denti del giudizio mascellari, poiché la rimozione di osso vestibolare non può essere evitata o non è eccessiva. Approfondirò questo concetto più avanti, nella parte dedicata all’estrazione dei denti del giudizio mascellari.

Estrazione
272 CAPITOLO 5.2
dei denti del giudizio utilizzando il manipolo a bassa velocità
Figg. 140-142 - In questo caso, il manipolo dritto è stato sfruttato anche per estrarre il dente del giudizio inferiore per minimizzare il numero di strumenti utilizzati. Fig. 140 Fig. 141 Fig. 142

5.2.4 Tecnica di estrazione con odontotomia orizzontale

Caso 1

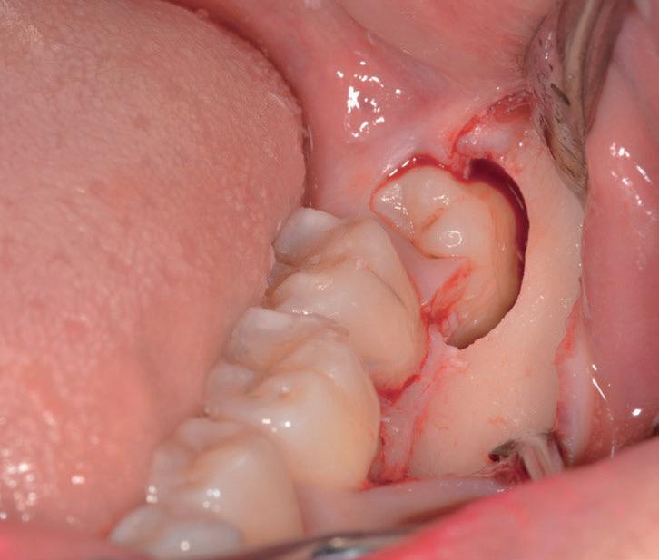
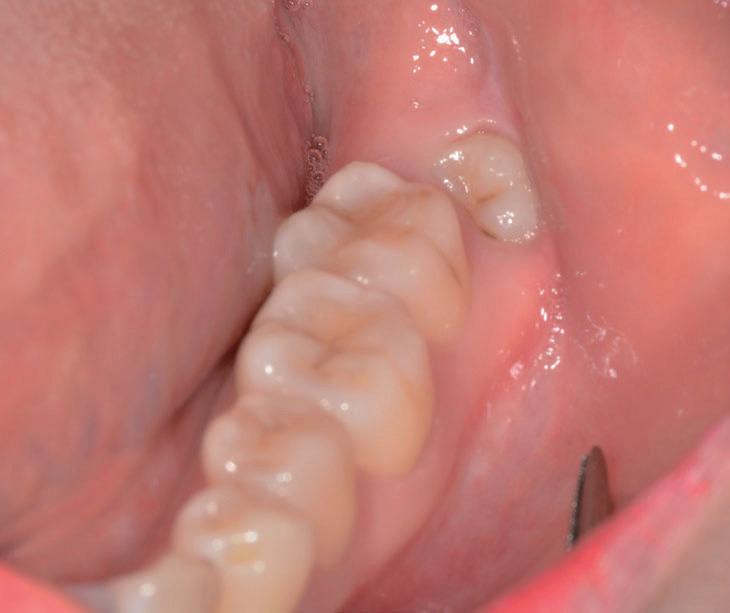
Questo è un paziente di 22 anni ed essendo un amico, ho potuto ben documentare il caso con il suo consenso: il suo dente del giudizio inferiore sinistro è stato estratto utilizzando il manipolo dritto. Figg. 143-149

273
Figg. 143-149 - Caso 1, paziente di 22 anni: tecnica di estrazione con divisione orizzontale utilizzando il manipolo dritto. Fig. 143 Fig. 144 Fig. 145 Fig. 146 Fig. 147 Fig. 148 Fig. 149

In generale l’estrazione di un dente del giudizio inferiore, utilizzando il manipolo dritto, richiede un’incisione posteriormente alla superficie mesiale del secondo molare. Se il dente non è incluso, la rimozione di osso vestibolare non è necessaria, ma al contrario, più il dente è in profondità e più osso vestibolare dovrà essere rimosso. Una volta che l’osso vestibolare è stato rimosso, il dente viene sezionato vestibolo-lingualmente e separato in una metà mesiale e una distale, utilizzando una leva. Il segmento distale del dente che non giace nel sottosquadro della regione distale del secondo molare viene rimosso per primo e poi viene rimosso quello mesiale. Figg. 150-156

Nella pratica clinica possono presentarsi diverse variabili. Questa tecnica è ampiamente utilizzata per

le estrazioni dei denti del giudizio in sala operatoria, laddove il manipolo ad alta velocità non è disponibile. Tuttavia, con la pratica, i denti del giudizio possono essere facilmente estratti sfruttando questa tecnica. Se avete tanti pazienti in sala d’attesa che devono ricevere questo tipo di intervento, l’uso di questa tecnica può tradursi in uno stress da sovraccarico per il polso e per le spalle del clinico che opera, con un maggior sanguinamento post-operatorio per il paziente, a causa della significativa rimozione di osso vestibolare. Inoltre, esiste la possibilità di danneggiare l’osso corticale linguale se viene applicata una forza eccessiva. In più, la superficie distale del secondo molare è a rischio, a causa della direzione della fresa durante il sezionamento e della forza applicata durante il sollevamento del segmento mesiale.

Estrazione
274
dei denti del giudizio utilizzando il manipolo a bassa velocità
CAPITOLO 5.2
Figg. 150-156 - Caso 1, paziente di 22 anni: tecnica di estrazione con divisione orizzontale utilizzando il manipolo dritto. Fig. 150 Fig. 151 Fig. 152 Fig. 153 Fig. 154 Fig. 155 Fig. 156

Caso 2

Questa tecnica implica l’utilizzo di una forza consistente, quindi un significativo stress per l’operatore.

Se il dente del giudizio è posizionato più apicalmente, non si può evitare un’eccessiva rimozione di osso vestibolare poiché il dente deve essere sezionato orizzontalmente fino alla forcazione. Figg. 157-164

275
Figg. 157-164 - Caso 2: tecnica di estrazione con divisione orizzontale utilizzando il manipolo dritto. Fig. 157 Fig. 158 Fig. 159 Fig. 160 Fig. 161 Fig. 162 Fig. 163 Fig. 164

Caso 3

Il seguente caso chirurgico è di un 4.8 mesio-inclinato e parzialmente incluso. Dopo un’incisione a busta, il

dente è stato separato al centro per fare una coronectomia, prima della porzione distale e successivamente della porzione mesiale. Facendo leva quindi è stato possibile rimuovere le radici unite. Figg. 165-172

Estrazione dei denti del giudizio utilizzando il manipolo a bassa velocità

276 CAPITOLO 5.2
Figg. 165-172 - Caso 3: tecnica di estrazione con divisione orizzontale utilizzando il manipolo dritto. Fig. 165 Fig. 166 Fig. 167 Fig. 168 Fig. 169 Fig. 170 Fig. 171 Fig. 172

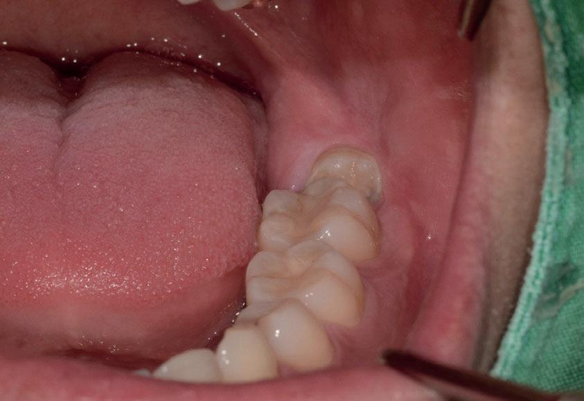
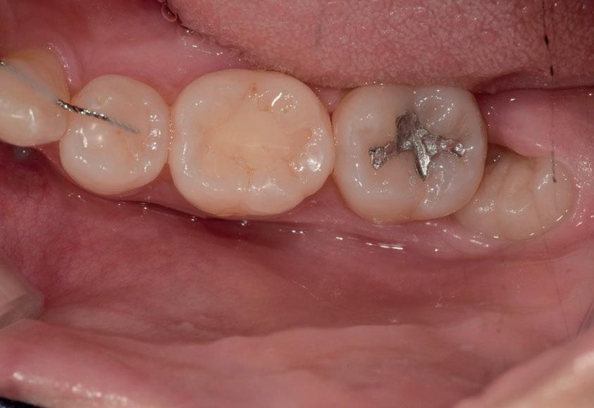
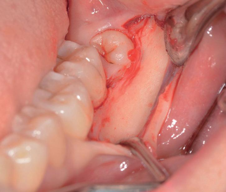
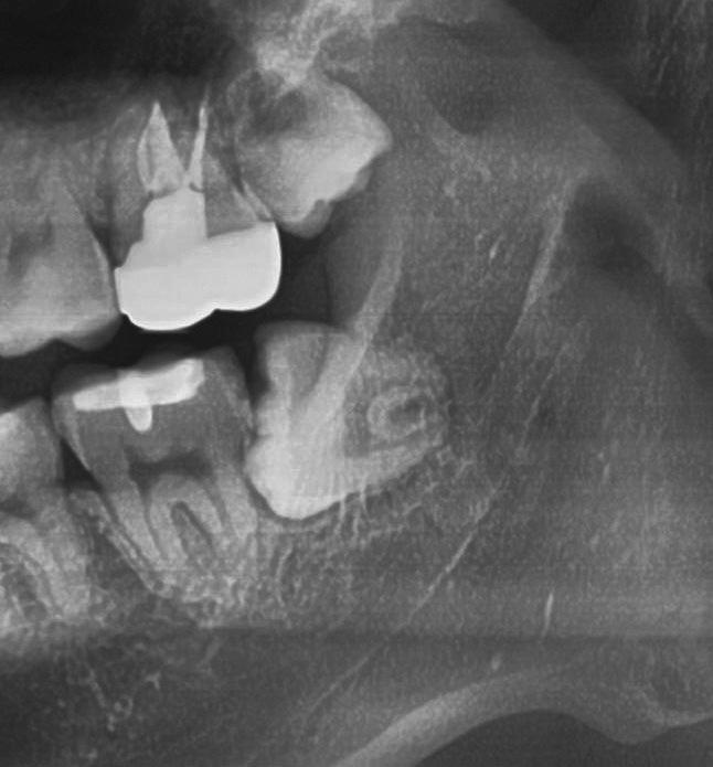
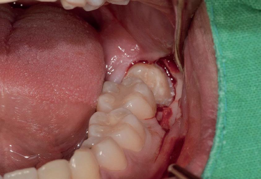
Abbiamo estratto il dente del giudizio inferiore di destra in una paziente di 22 anni, un’amica, utilizzando il manipolo dritto, con il proposito di fare delle foto dell’intervento. Figg. 173-179

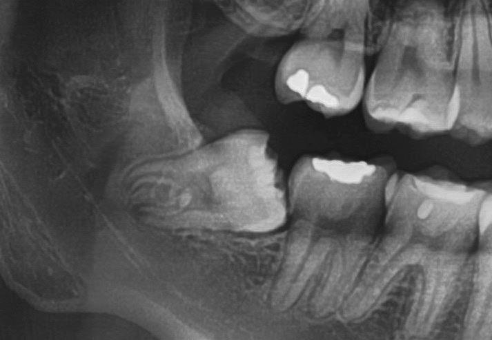
Dalla radiografia (Fig. 166) sembrava che il dente avesse due radici separate, quindi è stato eseguito un taglio orizzontale utilizzando il manipolo dritto per sezionare il dente a metà. Tuttavia, la corona si è frat-

turata poiché in realtà le radici erano unite e il dente non è stato sezionato completamente.

Bisogna prendere in considerazione sempre molti fattori come, ad esempio, la forma delle radici, il sottosquadro nella regione distale del secondo molare e l’osso alveolare disto-vestibolare. Se necessario la corona e le radici vengono separate intenzionalmente per estrarre il dente, proprio come in questo caso.

277
Figg. 173-179 - Caso 3: tecnica di estrazione con divisione orizzontale utilizzando il manipolo dritto. Fig. 173 Fig. 174 Fig. 175 Fig. 176 Fig. 177 Fig. 178 Fig. 179

5.2.5 Un caso di un’estrazione di un dente del giudizio, utilizzando il manipolo dritto, da parte di un altro dentista

L’estrazione di un dente del giudizio incluso orizzontalmente, sfruttando questa tecnica con il manipolo dritto, richiede un’ulteriore rimozione di struttura dentale e di osso. Figg. 180-183

Per questo motivo, il lembo deve essere esteso fino al primo molare e bisogna avere una visione del sito chirurgico adeguata. Più il dente è inclinato orizzontalmente più la rimozione di osso vestibolare è necessaria.

Solitamente viene utilizzata una fresa a fessura dritta da manipolo per sezionare le radici, ma è preferibile usare una fresa rotonda laddove c’è la necessità di rimuovere l’osso alveolare attorno alla corona, come mostrato in fotografia. Figg. 184-187

In questo caso la separazione del periostio e la rimozione di osso vestibolare è quasi inevitabile per estrarre il #38.

Estrazione dei denti del giudizio utilizzando il manipolo a bassa velocità 278 CAPITOLO 5.2
Figg. 180-187 - Un caso di un’estrazione di un dente del giudizio, utilizzando il manipolo dritto. Fig. 180 Fig. 181 Fig. 182 Fig. 183 Fig. 184 Fig. 185 Fig. 186 Fig. 187

5.2.6 Tecnica di estrazione con divisione orizzontale utilizzando il manipolo dritto

Caso 1

La selezione di un caso specifico è cruciale in un’estrazione quando si utilizza il manipolo dritto. In partico-

lare, l’applicazione di una forza eccessiva con una leva sulla radice mesiale, a seguito della rimozione della radice distale, può portare a un discomfort post-operatorio sulla superficie distale del secondo molare, oltre che sull’ATM. Inoltre, i clinici devono considerare che una divisione incompleta del dente porterà alla frattura della porzione mesiale della corona: ciò obbligherà a lasciare la radice mesiale in sede.

Commento del dottor Jaewook Lee

Figg. 188-193

279
Figg. 188-193 - Caso 1: tecnica di estrazione con divisione orizzontale utilizzando il manipolo dritto. Fig. 188 Fig. 189 Fig. 190 Fig. 191 Fig. 192 Fig. 193

Turn static files into dynamic content formats.

Create a flipbook
Issuu converts static files into: digital portfolios, online yearbooks, online catalogs, digital photo albums and more. Sign up and create your flipbook.