prevention 1/24

Page 1

international magazine for oral health

attualità

La professione dell’igienista dentale come intervento sanitario e scolare

case report

Efficacia di un dentifricio bioadesivo sui tessuti parodontali: uno studio prospettico su soggetti “special needs”

medicina orale e interdisciplinare

La metformina potrebbe aiutare a prevenire le malattie orali e sistemiche nei pazienti parodontali

1 2024 prevention Italian Edition, anno 6, vol. 1 Supplemento n. 1 di Dental Tribune Italian Edition, anno XX n. 2
prevention
Febbraio 2024
www.cleanwhitepro.eu

Prof.ssa Annamaria Genovesi

L’intelligenza artificiale non può prescindere da una visione profondamente umanistica della professione

L’evoluzione dei sistemi informatici ha creato applicazioni che oggi vengono definite intelligenza artificiale. Con tale termine, quando attribuito a uno strumento digitale o a un software, si intende la capacità di simulare un comportamento umano intelligente amplificato dalla possibilità di un calcolo istantaneo, dall’attitudine alla risoluzione dei problemi, fondandosi sulla elaborazione di nuovi dati attraverso l’analisi di dati precedentemente raccolti.

L’intelligenza artificiale interessa diffusamente molti settori umani, dall’agricoltura all’industria manufatturiera, all’industria automobilistica, alla moda, al management delle attività sportive fino a impattare, in modo progressivo, il mondo della medicina e più estesamente della salute. Le applicazioni dell’intelligenza artificiale alle procedure sanitarie finiranno con il cambiare, o talvolta hanno già cambiato, interi settori come l’imaging, la registrazione dei dati medici, la diagnosi di laboratorio, l’analisi approfondita dei processi biologici, in un turbinio di dati, che si accumulano in maniera esponenziale. Anche il mondo dell’igiene dentale sarà necessariamente impattato da questo genere di ausili, soprattutto diagnostici, che rientreranno nelle applicazioni dell’intelligenza artificiale. In odontoiatria sono disponibili numerosi prodotti che si prestano e nel campo dell’igiene dentale sono oggi attuabili diverse applicazioni dell’intelligenza artificiale quali l’interpretazione radiografica delle immagini, capace di evidenziare le lesioni di interesse sia a fine diagnostico che educazionale per il paziente, la possibilità di realizzare grafiche parodontali e restaurative complete, ma soprattutto di facile e veloce realizzazione grazie alla registrazione vocale, che, attraverso l’intelligenza artificiale, consente agli igienisti di elaborare rappresentazioni grafiche esaustive della patologia così da sottoporre al dentista, unico responsabile della diagnosi e del piano di trattamento, una articolata rilevazione di tutti i dati necessari, con ciò migliorandone anche la prestazione. Tuttavia, questo settore della scienza, in particolare l’applicazione nell’ambito della medicina, si trova ad affrontare rilevanti implicazioni etiche e medico-legali.

Credo che in definitiva il metro ultimo di comportamento e un corretto e armonico inserimento dell’intelligenza artificiale nella nostra professione non possa prescindere da una centralità del professionista, da una visione profondamente umanistica. Mi viene in mente il pilota di aereo immerso nel suo cockpit che deve conservare il pieno controllo di tutti gli ausili che provengono dall’intelligenza artificiale senza mai esserne sopraffatto o vicariato. Quando ciò succede l’incidente è dietro l’angolo, come drammaticamente hanno dimostrato i due recenti crash aerei in cui il computer ha sopraffatto la risposta umana.

Prof.ssa Annamaria Genovesi

1 2024 prevention 03 editoriale |
Cover image: © IDS 14 24 40 international magazine for oral health 1 2024 prevention 04 editoriale L’intelligenza artificiale non può prescindere da una visione 03 profondamente umanistica della professione research Le madri con una scarsa igiene orale possono trasmettere 06 la Candida albicans ai loro neonati notizie dal mondo Uno studio sottolinea il ruolo dei dentisti nello screening 08 delle malattie croniche l'intervista “Il mantenimento di una buona salute dentale e orale è fondamentale 10 per la qualità della vita” Reazioni avverse a farmaci in odontoiatria: 12 come si deve comportare il team odontoiatrico attualità La professione dell’igienista dentale come intervento 14 sanitario e scolare case report Efficacia di un dentifricio bioadesivo sui tessuti parodontali: 24 uno studio prospettico su soggetti “special needs” industry report Secchezza della bocca in menopausa: un problema spesso trascurato 30 l'intervista L’importanza della saliva per la salute orale 34 trends I benefici della fluorizzazione dell’acqua potrebbero aver 36 raggiunto il picco nei paesi ricchi medicina orale e interdisciplinare La metformina potrebbe aiutare a prevenire le malattie orali 38 e sistemiche nei pazienti parodontali meeting & congressi L’Odontoiatra del domani è un medico multidisciplinare 40 che fornisce terapie di precisione notizie dalle aziende 42 l'editore 50 | indice

Risana le gengive infiammate o traumatizzate 1

GENGIGEL è un prodotto innovativo a base di acido ialuronico ad azione prolungata che fornisce un’ottima adesione e protezione della mucosa gengivale. 1

GENGIGEL garantisce la massima adesività, riducendo l’impatto del costante drenaggio salivare e permettendo all’acido ialuronico di rimanere in situ. 1

20 studi clinici a supporto

Per il trattamento in acuto

Acido

GEL

Utilizzo: 3-5 volte al giorno 1

Per il trattamento di mantenimento

COLLUTORIO

Acido ialuronico 0,025%

Utilizzo: 10 ml 3-5 volte al giorno 1

1. Foglietto illustrativo Gengigel rev. 03/2021. Dispositivo medico
sanitari. GEN042024
Materiale destinato agli operatori
ialuronico 0,2%

Le madri con una scarsa igiene orale possono trasmettere la Candida albicans ai loro neonati

NEW YORK, USA/KUWAIT CITY, Kuwait: La ricerca ha dimostrato il legame tra la Candida albicans e la carie della prima infanzia. Tuttavia, sebbene la C. albicans inizi a colonizzare la bocca sin dalla nascita, non è chiaro quale ruolo svolgano le madri nella trasmissione di questo fungo patogeno alla loro prole. Un recente studio condotto presso le università negli Stati Uniti e in Kuwait suggerisce che i neonati hanno maggiori probabilità di ereditare la C. albicans dalle loro madri in caso di scarsa igiene dentale materna.

Nello studio, i ricercatori hanno esaminato 160 coppie madre-figlio tra il 2017 e il 2020. Hanno raccolto campioni di saliva e placca dalle partecipanti in otto visite, in un periodo che comprendeva la gravidanza, il momento della nascita e fino all’età di 2 anni del bambino.

I risultati hanno mostrato che circa il 58% delle coppie madre-figlio aveva la C. albicans nei loro campioni. Nel 94% dei casi in cui sia la madre che il bambino avevano la C. albicans in bocca, i ceppi erano molto simili geneticamente. I ricercatori hanno anche scoperto che le donne con carichi più elevati di placca dentale avevano otto volte più probabilità di trasmettere la C. albicans ai loro figli rispetto a quelle con punteggi più bassi.

Non è stato studiato esattamente come la candida venga trasferita ai neonati. Tuttavia, si è ipotizzato che i neonati possano essere esposti all’infezione durante il parto, attraverso il contatto cutaneo o attraverso l’alimentazione.

Inoltre, i ricercatori hanno esaminato le pratiche alimentari delle madri, come l'allattamento esclusivo al seno, l'allattamento esclusivo al biberon e la combinazione di entrambi. Essi hanno riferito che l'allattamento notturno era significativamente più elevato nel gruppo C. albicans-positivo a 2 mesi e scoperto che i neonati di colore e i bambini che frequentavano l'asilo avevano un aumentato rischio di acquisizione di C. albicans

Alla luce di questi risultati, i ricercatori ritengono importante offrire alle madri programmi di educazione alla salute orale durante la gravidanza e dopo il parto per ridurre la probabilità di trasmissione di C. albicans ai loro bambini nelle prime fasi della gravidanza.

Ulteriori ricerche coinvolgeranno il monitoraggio dei bambini per vedere come cambino i loro livelli di C. albicans e se sviluppino carie dentali.

Lo studio, intitolato “Multilocus sequence typing of Candida albicans oral isolates reveals high genetic relatedness of mother-child dyads in early life”, è stato pubblicato online il 17 gennaio 2024 su PLOS ONE

©
Konstantin/Shutterstock 1 2024 prevention 06 research
Yuganov

Uno studio sottolinea il ruolo dei dentisti nello screening delle malattie croniche

Franziska Beier, Dental Tribune International

LIVERPOOL/PLYMOUTH, UK: Il legame tra salute orale e malattie croniche è sempre più sorretto da prove sostanziali che rivelano fattori di rischio comuni e processi infiammatori. Alla luce di questi risultati, i ricercatori del Royal Liverpool University Dental Hospital e dell’Università di Plymouth hanno condotto uno studio che prevedeva l’introduzione di screening sanitari durante i regolari controlli odontoiatrici, riscontrando come questi controlli possano fare la differenza per la salute pubblica, a seguito di una corretta formazione dei professionisti.

Secondo gli autori dello studio, i dati mostrano che nel solo Regno Unito fino all’11% della popolazione adulta è affetta da alterata regolazione del glucosio e quasi la metà dei pazienti dentali di età pari o superiore ai 45 anni è a rischio di sviluppare il diabete entro il prossimo decennio. Queste cifre indicano i potenziali benefici e l’impatto positivo dell’attuazione dello screening del diabete nelle strutture odontoiatriche, in particolare per l’intervento precoce nel diabete di tipo 2.

Lo studio mirava a valutare il servizio di screening sanitario nelle strutture odontoiatriche, compresa la disponibilità dei pazienti ad accettare tale servizio e le raccomandazioni per migliorarlo. I dati sono stati raccolti da due studi dentistici situati nel nord-ovest dell’Inghilterra e nella regione di confine con il Galles, uno che svolgeva un’attività prettamente collegata al servizio sanitario nazionale (NHS) e l’altro che offre un mix di servizi dentistici privati e per l’NHS.

La raccolta dei dati si è svolta da agosto 2020 a novembre 2021 per il primo studio odontoiatrico e da febbraio 2021 a gennaio 2023 per il secondo. Nello studio dentistico che offriva prettamente servizi convenzionati con l’NHS, il 4,1% degli 11.200 pazienti ha accettato la proposta dello screening contro i 6,5% degli 871 pazienti dello studio misto.

Gli screening includevano valutazioni della pressione sanguigna, del colesterolo, della glicemia, dell’indice di

massa corporea (BMI) e del rapporto vita-altezza, fondamentali per rilevare i primi segni di malattie cardiovascolari e diabete di tipo 2 negli adulti sani. La selezione di questi specifici test di screening si è basata sulla loro rilevanza per la salute orale e sulla condivisione dei fattori di rischio per le complicanze di salute orale, come l’alimentazione e l’infiammazione cronica.

I risultati hanno mostrato che il 78,4% dei pazienti sottoposti a screening aveva valori della pressione arteriosa al di sopra del range normale, il 55,8% aveva valori di BMI al di fuori del range corretto e il 16,7% aveva livelli di colesterolo oltre il range giusto. Livelli elevati di glucosio nel sangue sono stati osservati in poco più del 3% dei pazienti.

«Abbiamo già posto grande enfasi sulla formazione degli studenti nel fornire assistenza olistica ai loro pazienti. Promuoviamo inoltre il concetto di salute orale come parte integrante della salute e del benessere generale. Oltre alle varie sfide da valutare per il servizio sanitario nazionale odontoiatrico, questo studio mostra che ci sono enormi opportunità per i team dentali di sostenere i loro pazienti e lavorare a più stretto contatto con i nostri colleghi medici e sanitari a beneficio della salute pubblica», ha commentato in un comunicato stampa il co-autore il Dott. Robert Witton, professore di odontoiatria comunitaria presso la Peninsula Dental School dell’Università di Plymouth.

Gli autori hanno sottolineato che protocolli chiari e un’attenta interpretazione dei risultati dello screening sono necessari per evitare confusione e frustrazione nel paziente. Infatti, i risultati dovrebbero sempre essere interpretati in relazione al contesto odontoiatrico; ad esempio, i pazienti che posticipano il pasto alla visita odontoiatrica, potrebbero essere la causa della percentuale elevata di pazienti con livelli di glucosio nel sangue più bassi e l’ipertensione potrebbe essere solamente un segno di ansia dentale.

1 2024 prevention 08 notizie dal mondo

Collaborazione più stretta tra cure dentistiche e cure mediche

Lo screening sanitario negli studi dentistici può ridurre significativamente la morbilità, la mortalità e i costi sanitari prevenendo l’insorgenza acuta di malattie croniche avanzate. Gli studi odontoiatrici, pertanto, rappresentano una preziosa opportunità per lo screening precoce, offrendo interventi personalizzati e, ove necessario, fungendo da punto di riferimento per la diagnosi precoce.

La dott.ssa Janine Doughty, del Royal Liverpool University Dental Hospital, ha dichiarato: «Un controllo dello stato di salute presso il dentista potrebbe rassicurare molti pazienti e far scattare un campanello d’allarme affinché altri si attivino verso stili di vita più sana. Ci sono pazienti che vanno dal dentista ogni 6-12 mesi ma che forse non vedono un medico da anni. Pertanto è semplice dedicare a loro qualche minuto per uno screening generale».

Per utilizzare i risultati dello studio, gli autori hanno suggerito che saranno necessarie maggiori alleanze tra cure dentistiche e cure mediche generali. Rafforzare i partenariati tra l’odontoiatria e altre piattaforme del servizio sanitario nazionale potrebbe sostenere l’obiettivo del piano a lungo termine per la forza lavoro del servizio sanitario

nazionale, che mira a promuovere sforzi collaborativi per la diagnosi precoce delle patologie cardiovascolari. Coinvolgendo l’intero team odontoiatrico nello screening sanitario, i professionisti dentali possono espandere la loro portata clinica e allinearsi con l’obiettivo del servizio sanitario nazionale inglese.

I dentisti possono fare una sostanziale differenza

Gli screening sanitari condotti nelle strutture dentali offrono una nuova opportunità per identificare un numero significativo di pazienti che presentano fattori di rischio per malattie croniche, hanno concluso gli autori aggiungendo: «I professionisti odontoiatrici possono essere formati con successo per eseguire gli interventi di screening e sono nella posizione ideale per fornire brevi consigli sugli stili di vita e segnalare i pazienti all’assistenza medica generale o ad altri servizi clinici appropriati».

Lo studio, intitolato “Opportunistic health screening for cardiovascular and diabetes risk factors in primary care dental practices: Experiences from a service evaluation and a call to action”, è stato pubblicato online il 10 novembre 2023 sul British Dental Journal

20 M AR ZO GUARDA SU: notizie dal mondo

“Il

mantenimento

di una buona salute dentale e orale è fonda-

mentale per la qualità della

vita”

Data la crescita esponenziale delle popolazione anziana, è più importante che mai affrontare alcune sfide relative alla salute orale e generale degli anziani al fine di garantirgli una sana longevità. In questa intervista, Dental Tribune International ha parlato con il Dott. Kakuhiro Fukai, direttore del Fukai Institute of Health Science in Giappone e presidente del gruppo di lavoro Oral Health for an Ageing Population (OHAP) della FDI. Basandosi sulla sua esperienza decennale nel campo della salute orale globale, il Dott. Fukai ha discusso di diverse questioni urgenti relative alle esigenze di salute orale dei più anziani e ha condiviso alcune conoscenze su come affrontarle al meglio.

Dott. Fukai, in che modo l’invecchiamento influisce sulla salute orale e in che modo il mantenimento di una buona igiene orale può migliorare la salute orale e generale degli anziani?

L’invecchiamento porta a una diminuzione delle funzioni fisiche e mentali necessarie per il vissuto quotidiano, aumentando la vulnerabilità alle malattie. Nella cavità orale si verificano spesso anche la perdita dei denti, una diminuzione della capacità di masticare e deglutire, e una riduzione della produzione salivare. Gli effetti dell’invecchiamento sulla salute sistemica e orale hanno anch’essi una relazione reciproca, influenzandosi a vicenda in un circolo vizioso. Ciò è particolarmente evidente quando

si tratta di masticazione, malnutrizione e sarcopenia. Un altro buon esempio è la qualità della vita legata alla salute orale e la ridotta partecipazione sociale. Il mantenimento di una buona salute orale è fondamentale per la qualità della vita lungo tutto il suo arco, per la prevenzione delle malattie non trasmissibili, del declino cognitivo e della fragilità. La ricerca mostra anche che il mantenimento della salute orale aiuta a prevenire la carie dentale, le malattie parodontali, la perdita dei denti e il declino della funzione orale, contribuendo così a una sana longevità.

Qual è il ruolo degli odontoiatri nella gestione delle esigenze di assistenza orale di una popolazione che invecchia?

Gli odontoiatri contribuiscono non solo al mantenimento della salute orale, ma anche alla prevenzione delle malattie non trasmissibili e della fragilità, nonché alla promozione della partecipazione sociale. Lo fanno fornendo cure preventive di qualità, compresa l’istruzione, e cure odontoiatriche attraverso il corso della vita, cioè prevenendo e controllando la carie, le malattie parodontali, la perdita dei denti e il declino della funzione orale. È inoltre essenziale che gli odontoiatri si adoperino per migliorare la diagnosi precoce del cancro orale in una popolazione che invecchia. A causa della complessa interrelazione tra la salute orale e quella sistemica, gli odontoiatri dovrebbero lavorare in stretta collaborazione con una serie di altri operatori sanitari. Nella valutazione, diagnosi e nel trattamento dei pazienti adulti più anziani, gli odontoiatri

1 2024 prevention 10 l'intervista

devono innanzitutto essere consapevoli della multimorbilità e dei regimi terapeutici dei pazienti. Essi devono valutare lo stato fisico e mentale dei pazienti e procedere alla valutazione obiettiva dei cambiamenti graduali della funzione orale dovuti all’invecchiamento. Per rilevare il declino della funzione orale il più presto possibile, non è sufficiente effettuare queste valutazioni nel contesto isolato dei servizi odontoiatrici ambulatoriali. Le reti sanitarie regionali devono istituire sistemi di valutazione collaborativa e/o di condivisione delle informazioni che integrino gli sforzi degli studi dentistici, delle case di cura e forse anche delle famiglie e delle imprese.

Nel 2015, l’FDI ha lanciato il progetto OHAP per rafforzare il ruolo della comunità della salute orale nel raggiungimento di una sana longevità per i pazienti. Quali sono gli obiettivi generali dell’iniziativa e in che modo ha contribuito a diffondere la consapevolezza sull’argomento?

La Japan Dental Association e l’Organizzazione Mondiale della Sanità hanno organizzato il Congresso Mondiale 2015 durante il quale è stata rilasciata la Dichiarazione di Tokyo. La dichiarazione sottolineava che la salute orale, per tutto l’arco della vita, è un diritto umano fondamentale, chiedendo l’inclusione dell’assistenza orale in tutte le politiche sanitarie e riconoscendo il ruolo essenziale dell’assistenza orale nel mantenimento della qualità della vita.Sulla base della Dichiarazione di Tokyo, la FDI ha istituito il progetto OHAP per sensibilizzare le associazioni odontoiatriche nazionali sul tema della salute orale nella popolazione che invecchia, valutare le politiche nazionali o regionali sulla salute orale e condividere tali informazioni a livello globale, individuare soluzioni e affrontare questi problemi a livello globale e nazionale. Nel prima fase (2016–2019) del progetto OHAP è stata prodotta una guida per la gestione del trattamento dentale degli anziani, di un percorso di assistenza orale e una tabella di marcia per l’invecchiamento in buona salute, tutti disponibili sul sito web della FDI.

Sulla base delle risorse prodotte durante la prima parte del progetto, nella seconda (2021-2023) si mira a promuovere ulteriormente le iniziative cliniche e comunitarie per raggiungere una salute orale ottimale nei più anziani. Il focus della seconda fase è su questioni cliniche come il declino funzionale orale, mirando a promuovere la diffusione e l’utilizzo delle risorse della prima fase del progetto e ad adattarle all’uso in diversi contes ti e gruppi, a promuovere la consapevolezza del ruolo della funzione orale degli anziani e a fornire strumenti pratici ai pazienti e agli operatori per prevenire il declino funzionale. Per raggiungere questi obiettivi, il team dell’OHAP ha intervistato le associazioni odontoiatriche nazionali, pubblicato numeri supplementari dell’International Dental Journal, organizzato simposi ai congressi odontoiatrici mondiali e tenuto diversi webinar.

Quali risorse sono disponibili per aiutare gli odontoiatri ad affrontare meglio le sfide legate alla salute orale nei pazienti anziani?

Uno dei prodotti della prima fase del progetto OHAP è stato il “Managing Older Adults: Chairside Guide”. Questo documento fornisce una vasta gamma di consigli orientati alla prevenzione per gli odontoiatri in base alla situazione di ciascun paziente. Nella seconda fase dell’OHAP, la guida è stata ulteriormente rivista, resa più user-friendly per i dentisti e sviluppata come applicazione web. Ora la guida include la fragilità orale come valutazione preliminare per i pazienti anziani. Per queste valutazioni sono state utilizzate scale convalidate. Inoltre, sulla base di queste valutazioni, vengono fornite infografiche chiare e concise per pazienti e assistenti. Questi strumenti migliorano le conoscenze di base dei dentisti e le loro competenze nel trattare con gli anziani. Riteniamo inoltre che consentiranno un processo decisionale interattivo e condiviso tra dentisti e pazienti anziani, garantendo un approccio più incentrato sulle persone e sulle funzioni.

1 2024 prevention 11 l'intervista
Reazioni avverse a farmaci in odontoiatria: come si deve comportare il team odontoiatrico

Intervista alla Prof.ssa Giuseppina Campisi

Spesso, all’interno del team odontoiatrico non vi è un’adeguata conoscenza e consapevolezza in relazione alle principali reazioni avverse da farmaci, che in molti casi possono essere sottovalutate o non riconosciute causando dei ritardi nella diagnosi e nel trattamento. Per affrontare questo tema abbiamo il piacere di intervistare la Prof.ssa Campisi, responsabile scientifica del progetto multiregionale AIFA “Reazioni avverse a farmaci in odontoiatria”.

Redazione Tueor Servizi
1 2023 prevention 12 l'intervista

Buon giorno Prof.ssa Campisi, in quanto responsabile scientifica del progetto “Reazioni avverse a farmaci in odontoiatria”, ci potrebbe indicare in qual misura questo argomento sia conosciuto all’interno del settore odontoiatrico? Avete riscontrato delle carenze in questo ambito?

Intanto grazie per questo spazio di attenzione. Il tema delle reazioni avverse e le sue conseguenze sulla qualità di vita dei pazienti è veramente poco conosciuto in seno all’Odontoiatria Europea, ma ancor di più a quella Italiana. I dati delle categorie sanitarie che segnalano eventi avversi a farmaci sulla webpage apposita di AIFA pongono molto in basso alla graduatoria gli odontoiatri e gli igienisti dentali. In sintesi, il problema è riconducibile a 3 aree di miglioramento professionale: 1) riconoscimento clinico delle reazioni avverse a farmaci in odontoiatria (ADR-O); 2) sensibilizzazione del professionista della salute orale (odontoiatra e igienista dentale) alla doverosa procedura della segnalazione ad AIFA; 3) corretta comunicazione con il paziente (anch’egli soggetto attivo nella segnalazione su pagina AIFA a lui/lei dedicata) e con il medico prescrittore del farmaco associato alla ADR-O.

Quanto è rilevante la capacità del team odontoiatrico di saper riconoscere e segnalare tempestivamente le reazioni avverse a farmaci sia per un corretto piano di cura del paziente sia per la sua qualità di vita?

Come detto, è la parte più importante, con l’aggravante che il cavo orale (mucosa orale, denti e ossa mascellari) è tra i siti più colpiti da ADR-O associate a farmaci di comune utilizzo come per es. anti-infiammatori, anti-ipertensivi, beta-bloccanti, antibiotici, ipoglicemizzanti, antipsicotici, ansiolitici, anti-riassorbitivi, antidepressivi o chemioterapici.

Ritiene che il “professionista della salute orale” debba avere un’adeguata conoscenza farmacologica considerato anche il particolare invecchiamento della popolazione italiana?

Assolutamente vero, il paziente ultra-sessantenne è molto spesso in pluri-patologia e poli-farmacia e tale condizione anamnestica deve essere accuratamente registrata e aggiornata presso lo studio odontoiatrico, essere patrimonio attivo delle scelte terapeutiche e del monitoraggio della salute orale del paziente.

A suo avviso, questo focus viene approfondito in maniera corretta in ambito accademico?

Nei CdS di Odontoiatria il tema delle ADR-O dovrebbe essere sempre presente nella cosiddetta Scheda di Trasparenza del modulo di Patologia Speciale Odontostomatologica o di Medicina Orale. Spesso tale modulo non è nella parte finale del Corso di Laurea, ma al terzo o quarto anno e quindi non viene percepito come prontamente fruibile dallo studente che ritiene più vicini alla futura professione i moduli degli ultimi anni del Corso. Inoltre, purtroppo, il riconoscimento clinico delle lesioni

orali, ancor prima della loro conoscenza etiopatogenetica e della diagnosi differenziale, è uno dei nodi centrali del mancato riconoscimento precoce anche di lesioni importanti come quelle potenzialmente maligne. La Società Italiana di Patologia e Medicina orale ha da sempre cercato di investigare metodologie didattiche che possano migliorare le skill diagnostiche dello studente e del giovane professionista. Potrebbe essere importante che i CdS italiani di Odontoiatria e di Igiene dentale propongano, ognuno nella propria autonomia, un Modulo di Didattica Opzionale dedicato proprio alle ADR-O. Quello che il Progetto multi-regionale (Sicilia, Campania, Piemonte) finanziato da AIFA sta facendo è di estendere agli studenti italiani anche di Medicina e Chirurgia e di Farmacia la possibilità di partecipare alla FAD gratuita (dal 1° febbraio al 31 dicembre 2024 con 10 ECM per le 4 categorie di professioni sanitarie) sul tema delle Reazioni Avverse a Farmaci in Odontoiatria (per ulteriori info scansiona il QR a fianco); per iscriversi alla FAD (anche come studente) si deve richiedere il codice di attivazione sulla landing page dedicata – cliccando su https://lp.accademiatn.it/corso-ecm-adr-in-odontoiatria, poi, all'indirizzo e-mail indicato verranno inviate tutte le informazioni necessarie; infine, saranno fruibili i servizi di consultazione dell’Atlante di ADR-O e delle tavole sinottiche dei farmaci e i 30 test gratuiti del self-e-learning su ADR-O (per ulteriori info scansiona il QR a fianco).

Quale supporto possono fornire le nuove tecnologie?

Dopo esserci impegnati nelle attività su descritte e aver organizzato un Workshop a Torino dove è stato fatto il punto di sintesi delle attuali conoscenze, abbiamo pensato utile per affiancare il professionista della salute nel mettere in pratica le conoscenze teoriche acquisite, di progettare una piattaforma on-line per teleconsulti gratuiti a beneficio dei colleghi odontoiatri, medici e igienisti dentali, in presenza di lesioni oro-dentali di sospetta natura ADR-O; il servizio sarà garantito grazie a 3 contratti libero-professionali affidati a odontoiatri esperti in medicina orale e alla supervisione dei dirigenti odontoiatri della UOSD di Medicina orale con odontoiatria per pazienti fragili della Azienda Ospedaliera Universitaria; a Marzo questo servizio (MedOral), come ultimo prodotto previsto dal progetto multi-regionale AIFA, è stato lanciato dal Policlinico di Palermo, capofila del Progetto. Poi speriamo che l’attrito di primo distacco possa essere superato e che si possa colmare questa lacuna a favore esclusivo della salute orale e generale del paziente e della sicurezza dei farmaci.

1 2024 prevention 13 l'intervista

La professione dell’igienista dentale come intervento sanitario e scolare

La prevenzione primaria nelle scuole d’obbligo.

Alice Bernardi*, Annamaria Genovesi*, Giacomo Oldoini*, Silvia Pelle*, Saverio Cosola*

*Istituto Stomatologico Toscano, Camaiore, Italia

“Il

lavoro sociale

è l’atto

morale di farsi carico dell’inestirpabile responsabilità che abbiamo per la sorte e il benessere dell’Altro: e che quanto più l’Altro è debole e incapace di far valere i propri diritti, tanto più grande è la nostra responsabilità”

(Zygmunt Baumann, sociologo 1925-2017)

La citazione coinvolge la professione dell’Igienista Dentale come autore di “interventi sociali oltre che sanitari”, previsto dalle sue competenze. Questo concetto deve far parte del percorso di crescita del professionista che, oltre ad ampliare le possibilità di intervento per costruire una popolazione integra e sana, costituisce un valore aggiunto sul piano sociale, e, se vogliamo, etico.

In origine il principale proposito dell’educazione sanitaria, basato sul modello medicalizzato, era quello di combattere la malattia. Più recentemente invece si è attuato e concretizzato lo sforzo di recuperare il vero scopo della Medicina, fornendo all’individuo il potere e i mezzi necessari affinché sia in grado di gestire la propria salute.

1 2024 prevention 14 attualità

I servizi di Igiene Dentale, ad esempio, sia in Italia che all’estero, hanno troppo spesso privilegiato l’approccio curativo rispetto a quello della prevenzione.

Dai documenti dell’Organizzazione Mondiale della Sanità, ricaviamo una definizione di “Scuola promotrice di salute” come l’insieme di “processi, azioni e interventi che mettono in grado la comunità scolastica di sostenere e migliorare la condizione di salute e benessere di tutti i suoi membri: studenti, insegnanti e tutti coloro che ruotano sistematicamente attorno a questo ambiente di lavoro, inclusi i genitori che dovranno costituire un ambiente fisico, sociale, culturale e relazionale portatore di equilibrio e favorevole alla salute”1

I momenti ottimali per un intervento di educazione alla salute sono i periodi in cui i bambini afferiscono alle scuole dell’obbligo, iniziando precocemente, addirittura già in età prescolare alla scuola materna chiaramente con metodi e strumenti adeguati alle varie età.

Le informazioni possono essere date inizialmente, come tali e rielaborate e costruite a scuola, con lo scopo di trasformarle in conoscenze adatte a sorreggere la capacità di condurre scelte individuali e collettive favorevoli alla salute.

L’educazione sanitaria si pone così l’obbiettivo di influire positivamente sulla salute e sul benessere di una popolazione: questo contribuirà a promuovere condizioni ambientali favorevoli alle scelte di salute e formerà individui consapevoli e capaci di compiere le azioni più utili per la propria condizione di vita.

Gran parte dei comportamenti degli esseri umani si strutturano nel corso dei primi anni di vita, già a partire dalla nascita.

L’educazione alla prevenzione e al riconoscimento precoce di alcune malattie può minimizzare o annullare l’instaurarsi di situazioni sfavorevoli a carico dell’apparato stomatologico e quindi di permettere un armonico sviluppo del complesso cranio-maxillo-facciale.

Un ruolo fondamentale della società, della medicina e anche della scuola è di educare in particolar modo i bambini e i ragazzi in crescita, a individuare autonomamente le scelte di valore e di principio che stanno alla base della propria salute, attraverso un loro coinvolgimento attivo.

Gli interventi di promozione della salute indirizzati ai bambini non possono però tenere conto della condizione di dipendenza degli stessi della famiglia.

Pur rimanendo il principale protagonista dell’intervento, il bambino, infatti, non ha la possibilità di produrre autonomamente situazioni favorevoli per la sua salute.

Ecco perché diventa di fondamentale importanza attivare livelli di comunicazione e collaborazione stabili con la famiglia e tutti quelli che, a vario titolo, si prendono cura dei bambini.

In pratica è importante educare non solo i bambini, ma anche i loro insegnanti e i loro genitori.

L’educazione sanitaria è una fase del processo educativo che riesce a suscitare consapevolezza nei confronti di situazioni rischiose e dannose per la salute e partecipazione alla ricerca di soluzioni.

Educare significa fornire informazioni sulla salute della bocca, sul significato di una corretta igiene orale, sull’uso di fluoro, sulla corretta alimentazione.

Le informazioni possono essere fornite inizialmente come tali o possono essere elaborate a scuola, ma con la finalità che si trasformino in sapere con cui i bambini possono gestire la propria salute.

Insegnare ai bambini ad avere cura del proprio corpo e della propria salute è il migliore investimento per il loro futuro e rappresenta il fondamento per successivi e più complessivi interventi di prevenzione2

Oltre a ciò, i bambini diventano non solo fruitori, ma nel contempo, produttori e attenti comunicatori di prevenzione.

Per questo motivo l’educazione alla prevenzione, migliori saranno i risultati.

A tale scopo è un obiettivo fondamentale della società, della Medicina e della scuola “guidare” i bambini e i ragazzi in crescita, a individuare autonomamente le scelte di valore e i principi che stanno alla base della propria salute, attraverso il loro coinvolgimento attivo.

Il bambino acquisisce e struttura atteggiamenti e modelli comportamentali, che caratterizzeranno il suo futuro stile di vita.

I momenti ottimali per questo progetto educativo sono individuati a partire già dalle scuole materne, per poi essere rinforzati nella scuola dell’obbligo.

Insegnare ai bambini ad avere cura del proprio corpo e della propria salute è il miglior investimento per il loro futuro e rappresenta il fondamento per successivi e più complessi interventi di prevenzione.

Si è progettato così un percorso nelle scuole della Provincia di Bolzano con l’intervento della S.S.S Claudiana di BZ (sede staccata dell’Università Cattolica di Roma) e la partecipazione di tutor e studenti, approvato dalle

1 2024 prevention 15 attualità

autorità provinciali e ancora in atto.

Ai bambini e adolescenti vengono comunicati in modo semplice - ai bambini sotto forma di gioco, agli adolescenti tramite diversi media - modalità con cui poter intervenire sulla salute della propria bocca, essendo convinti che le nozioni acquisite si trasformeranno in stili di vita nel loro futuro.

Lo schema del progetto prevede alcuni incontri con tutti gli operatori per stabilire tempi e modalità del progetto. È inoltre previsto un incontro con i genitori per illustrare brevemente il progetto ed ottenere la loro collaborazione. Stabilite le linee guida comuni, si svolgono due incontri con i bambini e/o adolescenti. Nella prima lezione vengono fornite ed elaborate informazioni semplici, adeguate ad ogni fascia di età, di anatomia e fisiologia del cavo orale, di nozioni e motivazioni per una sana alimentazione, spiegazione di fluoro profilassi e modi e metodi per poter effettuare un’efficace igiene orale quotidiana: tutto questo sotto forma di gioco per i più piccoli, cercando invece di suscitare la curiosità e attenzione dei più grandi. Tutto questo con l’ausilio di sussidi didattici (cartelloni, disegni, modelli tridimensionali di denti e bocche).

Tra il primo e il secondo incontro esiste una settimana d’intervallo, dove gli insegnanti possono rielaborare in classe tutte le nozioni fornite.

La seconda lezione è dedicata alla ripetizione dei concetti esposti nella prima, per una rielaborazione e un approfondimento, verificandone l’apprendimento, la memorizzazione, gli eventuali cambiamenti nelle abitudini quotidiane delle manovre d’igiene e del tipo di alimentazione.

La prevenzione delle patologie dentarie in età evolutiva

Introduzione

Nel decennio passato è stata attribuita una particolare attenzione alla prevenzione piuttosto che al trattamento della malattia. È pertanto importante essere consapevoli che la prevenzione delle malattie dentali gioca un ruolo rilevante nella cura globale della salute dei pazienti. L’odontoiatria moderna, come tutta la medicina, si fonda sull’assioma che “prevenire sia meglio che curare”.

Per prevenire le più importanti malattie odontoiatriche è necessario conoscere le cause che le determinano, dopodiché è necessario agire con decisione a controllare.

Le principali malattie dei denti e dei loro tessuti di sostegno riconoscono cause ben individuate e controllabili. La carie dentaria e la parodontopatia vedono la placca batterica come principale fattore responsabile; la ma-

locclusione, invece, è frequentemente determinata, o comunque aggravata, dall’abitudine che si protrae oltre tempo a succhiare, ad esempio il dito o il ciuccio, ed alla tendenza del bambino ad assumere atteggiamenti a bocca aperta3

Tre sono i livelli di prevenzione delle malattie dentali:

• Prevenzione primaria: mira al controllo delle cause per far sì che la malattia non si presenti. Si fonda sull’educare il paziente a una scrupolosa igiene orale, a una corretta alimentazione, all’utilizzo di fluoro a livello sistematico/topico e sottoponendo i pazienti che sono a rischio di carie alle sigillature di solchi/fossette e sensibilizzando a controlli periodici.

• Prevenzione secondaria: consiste nell’intercettare il danno precocemente, tanto da renderlo reversibile. Si attua con la motivazione del paziente a viste periodiche dall’odontoiatra, nel corso delle quali potrà rilevare una gengivite iniziale, una carie nei primi stadi di sviluppo oppure un morso crociato che influenza negativamente la crescita dei mascellari e lo sviluppo della dentizione. Sottoponendo il paziente alle terapie quando la malattia è allo stadio iniziale, ci da la possibilità di guarire gengivite, arrestare la carie e far riprendere una crescita equilibrata ai denti e ai mascellari.

• Prevenzione terziaria: consiste nell’intervento terapeutico mirato a limitare il danno ormai provocato. Quotidianamente l’odontoiatra cura carie dentarie più o meno estese e parodontopatie. Il suo intervento, in questi casi, pur non potendo garantire la completa “restituito ad integrum” guarisce comunque la malattia in atto, arrestandone la progressione che renderebbe le cure più complesse o addirittura inefficaci4

In questo elaborato si descrive specialmente la prevenzione primaria. Per un’adeguata prevenzione dalle patologie dentarie l’Organizzazione Mondiale della Sanità suggerisce quattro punti:

1. un’adeguata igiene orale;

2. un’alimentazione equilibrata;

3. l’utilizzo del fluoro;

4. visite professionali periodiche e sigillature.

Progetto di prevenzione dentale rivolto ai bambini della scuola d’infanzia

Introduzione

Insegnare ai piccoli ad avere cura del proprio corpo e della propria salute è il miglior investimento per il loro futuro e rappresenta il fondamento per successivi e più complessi interventi di prevenzione.

1 2024 prevention 16 attualità

Come preparazione iniziale si è organizzato un incontro tra tutti i partecipanti cioè tra i responsabili del progetto, gli igienisti dentali, gli operatori e assistenti scolastici, in modo da poter condividere le modalità e concordare i tempi e l’esecuzione del progetto educativo.

Anche il coinvolgimento dei genitori è un atto molto importante, per il loro ruolo fondamentale nell’aiutare il bambino ad assumere stili di vita favorevoli per la salute e il benessere.

Sono, infatti, i genitori che rispondono ai bisogni dei figli provvedendo a nutrirli, curarli e a tutelarli. Essi diventano, a volte senza averne la consapevolezza, educatori alla salute.

È stata perciò creata una linea diretta anche con i famigliari tramite una lettera in cui venivano fornite tutte le informazioni necessarie per poterli coinvolgere e interessare al progetto: notizie quindi riguardanti in primo luogo la figura professionale dell’igienista dentale, il suo ruolo e le sue competenze, il significato del progetto, le modalità e i suoi obiettivi.

In allegato è stato proposto anche un questionario anonimo in cui venivano richieste informazioni specifiche su

abitudini e stili di vita, in modo da poter elaborare un’im portante statistica su questo campione di soggetti.

Il passo successivo, cioè l’intervento educativo, è stato svolto attraverso animazione in classe con il coinvolgimento attivo dei bambini, racconti, giochi, cartelloni, modelli tridimensionali di bocca per istruirli a una corretta igiene orale e all’igiene alimentare.

Nella fase finale sono stati distribuiti gadget, adesivi e uno spazzolino da denti, nonché brochure informative da consegnare ai genitori.

Materiali e metodi

In base alle risorse disponibili, sono state contattate due scuole materne della città di Bolzano, che si sono dimostrate molto interessate agli intenti e agli obiettivi dell’iniziativa, garantendo totale collaborazione.

La prima è stata nel 2003, una scuola inserita in un istituto comprensivo privato l’“Istituto Comprensivo di Cultura e Lingue Marcelline” situato in via delle Marcelline 1 a Bolzano. La scuola materna era costituita da 3 sezioni per un totale di 80 bambini.

1 2024 prevention 17

La seconda era una scuola materna pubblica “Città dei bambini” situata in Viale Venezia 45 a Bolzano, costituita da 3 sezioni per un totale di 58 bambini.

Il progetto pilota si è ampliato coinvolgendo tutte scuole della Provincia autonoma di Bolzano fino al raggiungimento dello stato attuale.

Lo schema del progetto prevedeva alcuni incontri tra tutti gli operatori e una volta stabilite le linee guida comuni, sono stati svolti due incontri con i bambini.

Gli interventi in classe sono stati strutturati rispettando i ritmi fisiologici dell’attenzione di questa fascia d’età. L’attenzione raggiunge il massimo durante le prime ore del-

la mattina e rimane costante per un tempo limitato: per questo motivo gli incontri sono stati pianificati nelle prime ore del mattino e hanno avuto una durata media di 1 ora.

Considerando l’età dei bambini, non ancora in grado di leggere o scrivere, per facilitare la comprensione e la memorizzazione dei messaggi educativi, si è reso necessario adoperare un linguaggio semplice, arricchito di esempi pratici, ripresi dalle abitudini di vita quotidiana. Poiché il processo di memorizzazione si giova moltissimo dell’apporto di tutti gli organi di senso, oltre ovviamente all’udito, si è pensato di utilizzare il contributo della vista e del tatto e quindi per trasmettere messaggi informativi di un certo impatto si è strutturato l’ausilio di immagini divertenti, cartelloni grandi, colorati e modelli illustrativi.

1 2024 prevention 18 attualità

Nella prima lezione sono state fornite informazioni nuove cercando di suscitare la curiosità e attenzione. Tutto quello che è stato esposto, è stato poi messo in pratica e spiegato sui modelli. Tra il primo e il secondo incontro gli insegnanti di classe partecipanti al progetto hanno rielaborato con i bambini tutte le nozioni per far sì di sedimentare le informazioni acquisite.

La seconda lezione è stata invece dedicata alla ripetizione dei concetti imparati nella prima, per verificarne l’apprendimento e la memorizzazione ed eventuali cambiamenti delle abitudini quotidiane rivolte soprattutto alle manovre di igiene orale e al tipo di alimentazione.

Struttura e svolgimento del progetto

Luogo:

• scuole materne, scuole elementari della provincia autonoma di Bolzano.

Target:

• bambini di 4-5 e 7-8 anni;

• 15.000 bambini delle scuole materna e scuole elementari della provincia autonoma di Bolzano;

• insegnanti e genitori.

Tempo:

• periodo di attività 2003-2023;

• due incontri di circa un’ora ciascuno svolti nelle prime

© OlgaKraemer/Shutterstock 1 2024 prevention 19 attualità

ore di lezione in ogni classe, per ogni anno scolastico.

Obiettivi generali:

• educazione dentale: spiegazione del ruolo dei batteri, della malattia cariosa, dell’importanza dell’igiene orale;

• educazione alimentare: ruolo degli zuccheri, dieta corretta;

• educazione all’igiene: spazzolino, dentifricio, fluoro, tecnica corretta di spazzolamento;

• educazione sulle figure: igienista dentale, odontoiatra, assistente;

• educazione e coinvolgimento di insegnanti e genitori.

Informativa ed invio lettera con questionario ai genitori

I genitori sono stati resi partecipi e sostenitori dell’iniziativa tramite il materiale informativo costituito da:

• lettere con informazioni necessarie;

• questionario

• brochure “Come mantenere sani i denti del vostro bambino”, creato dall’assessorato alla Sanità e dei Servizi Sociali, con contenuti riguardanti il mantenimento della salute orale in età pediatrica.

Primo incontro con i bambini

Nel primo incontro i bambini sono stati fatti sedere in cerchio. Tramite una storia è stato loro spiegato che cosa sono i batteri, come si forma la placca batterica, come origina la carie e come, tramite una corretta igiene orale, è possibili prevenirla. Lo scopo è stato perciò quello di sensibilizzarli al problema, attirando la loro attenzione sull’importanza di una sana alimentazione senza divieti, ma riducendo i cibi dolci durante l’arco della giornata, prediligendo altri alimenti e raccomandando l’uso dello spazzolino dopo la loro assunzione.

Educazione all’igiene orale

• Dimostrazione con modelli di bocche tridimensionali e spazzolini grandi della corretta tecnica per l’igiene orale (Tecnica di Fones: Cerchi sui denti, riferendosi alla storia “Puliti sono tutti i miei denti”).

• Esercitazione pratica sul modello effettuata singolarmente da ciascun bambino con la supervisione dell’igienista.

• Insegnare la filastrocca per l’igiene orale.

Educazione alimentare

• Spiegazione del problema degli zuccheri (in modo ludico).

• Riassunto delle caratteristiche dei vari alimenti; utilizzo di due grandi denti di cartone, il primo sano (integro) e l’altro cariato (con dei buchi). I bambini devono utilizzare dei cartoncini con le figure dei diversi alimenti

alcuni consigliati ed altri nocivi per la salute del dente e posizionarli sul dente sano o malato.

Materiale didattico

• Libretto del racconto;

• modelli;

• spazzolini;

• filastrocca;

• cartelloni dei denti e cartelline con alimenti.

Metodo

È stato usato un linguaggio semplice e sono stati coinvolti tutti i bambini. Sono stati usati racconti, canti, cartelloni, tutte cose che i bambini conoscono e fanno quotidianamente all’asilo. I bambini sono in una fascia d’età dove la loro capacità motoria non è ancora sviluppata del tutto, per cui viene illustrata e insegnata sul modello di bocca tridimensionale con un spazzolino la tecnica di Fones. In seguito viene lasciato provare ai bambini stessi sui modelli la tecnica di spazzolamento spiegata.

Settimana d’intervallo tra il primo e il secondo incontro

Congedandosi dai bambini, è stata stimolata e raccomandata una loro compartecipazione attiva anche durante la settimana successiva in classe con le insegnanti, mediante ripetizione della filastrocca in modo da poterla recitare assieme nell’incontro successivo e mediante rappresentazione delle esperienze vissute con disegni o altri lavori proposti dagli insegnanti.

Importante anche il compito affidato a casa, e cioè esercitarsi nel ripetere davanti allo specchio con il proprio spazzolino e magari alla presenza dei genitori le tecniche di spazzolamento effettuate sui modelli, esortandoli ad impegnarsi al massimo in previsione di una verifica nell’incontro seguente.

Secondo incontro con i bambini

Nel secondo incontro sono stati raccolti i disegni fatti dai bambini dopo il primo. È stato ripetuto e verificato quello che è stato imparato la prima volta in modo da cercare di fissare al massimo i concetti esposti. In seguito è stata illustrata molto semplicemente la figura dell’igienista dentale e fatta prendere confidenza con alcuni oggetti e strumenti che vengono utilizzai nell’ambulatorio, facendoli prendere in mano e spiegando la loro funzione.

L’obiettivo era quello di farli familiarizzare con l’ambiente odontoiatrico, desensibilizzandoli e riducendo così i timori e le paure all’incontro con l’odontoiatra o l’igienista dentale in ambulatorio.

1 2024 prevention 20 attualità

Contenuto

Ripetizione e verifica sull’educazione alimentare

Riordinare gli alimenti sui due denti di cartone come la prima volta, ma senza ripetere prima i concetti già espressi.

Educazione sulle figure

Spiegare in termini a loro comprensibili la figura dell’igienista dentale e dell’odontoiatra.

Gioco di ruolo per mostrare e illustrare alcuni oggetti e strumenti di lavoro usati nell’ambulatorio odontoiatrico.

Ripetizione e verifica sull’educazione all’igiene orale

• Ripetizione in gruppo della filastrocca per l’igiene orale, imparata a memoria nel corso della settimana;

• verifica dei concetti rimasti impressi dopo il primo incontro;

• verifica delle manovre d’igiene orale con ripetizione delle stesse sui modelli tridimensionali.

Materiale didattico

• Cartelloni dei denti e cartelline con alimenti;

• camice bianco;

• guanti;

• occhiali;

• mascherina;

• bavaglino;

• bicchiere di plastica;

• pila tascabile;

• strumenti odontoiatrici: specchietto, pinzetta, specillo, aspiratore, pistola ad acqua e ad aria, rulli di cotone, manipolo con spazzolino per polish e la pasta lucidante;

• modelli tridimensionali;

• spazzolini;

• spazzolini da regalare;

• brochure “Come mantenere sani i denti del vostro bambino”.

Metodo

Usando di nuovo come ausilio i cartelloni, ripetendo il gioco, usando i modelli di bocca tridimensionali e gli spazzoloni, si può verificare quanto è stato appreso dai bambini nella prima lezione. In seguito tramite un semplice gioco di ruolo, dove i bambini vengono coinvolti attivamente, viene spiegata la figura dell’igienista dentale e come lavora nello suo ambulatorio.

1 2024 prevention 21 attualità

Il gioco consiste nel mimare quello che avviene quando il bambino si reca nell’ambulatorio odontoiatrico, commentando ogni passaggio.

Conclusioni

Avere denti sani e curati contribuisce in misura determinante al benessere e alla salute della persona.

Per ridurre al minimo i fattori di rischio delle malattie dentarie bastano poche ma necessarie misure di prevenzione. A tal proposito si è ritenuto opportuno attuare un progetto di prevenzione e promozione della salute orale a scuola, in quanto la scuola è un luogo di educazione alla salute.

Attraverso un accurata informazione ai bambini, dando loro delle semplici indicazioni, è stato possibile ottenere la consapevolezza di avere una bocca sana e di come mantenerla nel tempo.

Questo progetto ha avuto come principale obiettivo la promozione della prevenzione primaria nelle scuole, intervenendo precocemente sulle cause di qualsiasi patologia orale, partendo già dalla prima infanzia. Lo scopo era quello di motivare e istruire i bambini della scuola materna a un igiene orale e a un’alimentazione corretta, all’importanza dell’utilizzo del fluoro e alla sensibilizzazio-

ne a controlli periodici, in modo tale che ciò diventi una buona pratica abituale.

Per gli studenti della S.S.S Claudiana è stata un’esperienza istruttiva, in quanto è stata data loro la possibilità di mettere in pratica anche la prevenzione primaria su larga scala, che fa parte del profilo professionale dell’igienista dentale.

A fine progetto è stato possibile constatare tramite un feed-back, il grande successo ottenuto attraverso l’attenzione riscontrata dai bambini e dalla grande collaborazione tra il gruppo degli igienisti dentali, insegnanti e genitori.

Dall’elaborazione dei questionari è emerso che, nonostante la promozione per la prevenzione sia ancora ai primi passi, genitori e insegnanti hanno accolto con entusiasmo e giudizi altamente positivi l’iniziativa e si augurano venga inserita definitivamente nei programmi scolastici.

Concludendo si può affermare che, interventi di questo tipo, potrebbero essere inseriti in modo stabile nei programmi scolastici e condotti in modo efficace da igienisti dentali, con l’obiettivo di educare i bambini ad una corretta salute orale.

Bibliografia

1. WHO, Organizzazione Mondiale della Sanità-Centro di collaborazione OMS per l’epidemiologia e la prevenzione orale, Milano: Indagini sulla salute orale, metodi di base. Quarta edizione: 3-74.

2. Madau M., Strohmenger L. Prevenzione e promozione della salute orale in età pediatrica. Quintessenza 2003.

3. Forronato G. Odontostomatologia per l’igienista dentale, Basi Anatomo-clinche e protocolli operativi; Picin, Padova 2007.

4. Stuart D. Josell, Ronald G. Abrams: Igiene orale; Picin, Padova 1984.

1 2024 prevention 22 attualità
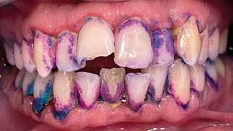
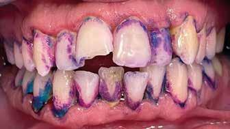
Efficacia di un dentifricio bioadesivo sui tessuti parodontali: uno studio prospettico su soggetti “special needs”

Giuseppe Gola*, Francesca Polo**, Mariarita Angileri***

*Professore a.c. in Patologia Orale Pediatrica, C.L.I.D.

Università “Vita Salute S. Raffaele” di Milano

**Professore a.c. in Pedodonzia, C.L.I.D. Università degli

Studi di Genova

***Dottoressa in Igiene Dentale

Introduzione

Il concetto di “disabilità” è andato nel tempo a mutare, a causa della costante evoluzione che il termine ha assunto in diversi contesti di riferimento. La Società Americana di Ricerca e Cura delle Disabilità ha recentemente1 proposto questa definizione: “Menomazione o problema esistente nel corpo e nella mente che può essere identificato da osservazioni oggettive e migliorato con l’intervento o il trattamento svolto da esperti al fine di aiutare la persona ad adattarsi e conformarsi all’ambiente definito normale”.

Le disabilità possono essere di diversa tipologia e presentarsi con livelli progressivi di gravità, ma la situazione di salute orale di questi soggetti, oggi definiti “special needs”, è in genere carenziale, soprattutto a motivo di trascuratezza. Infatti, i depositi di biofilm batterico sono di frequente osservazione sia per le difficoltà psico-motorie eventualmente presenti, sia per le alterazioni anatomo-funzionali legate alla disabilità (deglutizione atipica, respirazione orale) sia per altri fattori quali lo stile alimentare e gli stessi protocolli farmacologici prescritti.

Le conseguenze cliniche che ne derivano sono intuibili. Ma, mentre il risconto di patologie cariose nelle arcate dentali di soggetti in stato di disabilità può essere molto variabile2-5, il consenso in letteratura è invece unanime nell’osservare una costante morbilità per le lesioni parodontali, nei soggetti “special needs” rispetto ai soggetti definiti “normali”.

Le motivazioni per le quali gengiviti e parodontiti sono di frequente riscontro in condizioni di disabilità sono molteplici. Una delle più rilevanti è il fatto che molti disabili sono costretti a fare uso continuativo di farmaci che interferiscono sulla produzione e sviluppo di fibre collagene, anche del distretto orale. È inoltre facilmente riscontrabile un’alta concentrazione salivare di lipidi che predispone a fenomeni flogistici parodontali6. I soggetti “special needs” infine hanno risposte immunitarie inefficaci (talora farmacologicamente indotte) che possono favorire un più facile impianto di colonie batteriche periopatogene. Da ultimo, le ridotte capacità motorie e\o cognitive possono esitare in insufficienti pratiche di igiene domiciliare. Insomma, questa congerie di fattori porta alla prevalenza di riscontro di gengiviti, in genere di grado lieve o moderato, ma talora anche severe.

Scopo

Lo scopo della presente indagine clinica è stato quello di saggiare paste dentifricie che presentano specifiche caratteristiche di bio-adesività mucosa, per verificare l’efficacia in un breve periodo di tempo sia nel rimuovere biofilm che nel migliorare lo stato dei tessuti parodontali marginali di soggetti “special needs”.

In recente letteratura7, 8, infatti, dentifrici dotati di elevata bio-adesività si sono dimostrati capaci, sia nell’adulto che in soggetti in crescita, di determinare non solo una riduzione dei biofilm batterici ma soprattutto un significativo miglioramento della sofferenza parodontale.

1 2024 prevention 24 case report

L’ipotesi presa in considerazione è che il soggetto portatore di handicap possa trarre specifico e particolare vantaggio a livello gengivale dall’utilizzo di questi presidi.

Materiali e metodi

Il nostro studio prospettico ha arruolato 30 soggetti affetti da disabilità di diverso genere e gravità. Solo 28 di essi si sono dimostrati in grado di soddisfare i requisiti di inclusione richiesti.

Di essi il 46% apparteneva al sesso femminile mentre il 54% a quello maschile. L’età media dei partecipanti era di anni 45. In base alla accurata indagine anamnestica dei soggetti arruolati si è potuto evidenziare che tra di essi l’11% presentava sindromi genetiche rare, il 54% era afflitto da qualche forma di paresi, il 71% era affetto da ritardo intellettivo di grado variabile, il 29% era soggetto psicotico, l’11% soffriva di sindrome dello spettro autistico, il 4% aveva un disturbo ADHD, il 40% infine era in cura per depressione e\o ansia.

Prima dell’inizio dello studio, per tutti i soggetti, sono stati predisposti e ottenuti moduli di consenso informato da parte di genitori\tutori, una scheda anamnestica che includeva anche i dati relativi ai protocolli terapeutici in corso nei soggetti stessi e infine un questionario compilato da genitori\tutori in merito alle abitudini alimentari e igieniche orali di ogni singolo partecipante, inclusivo delle eventuali visite di controllo odontoiatrico a cui i soggetti erano soliti sottoporsi.

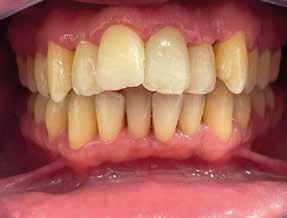
Tutti i soggetti sono stati sottoposti a una prima visita (T0 baseline) e a una successiva rivalutazione a distanza di una settimana dalla prima osservazione (T1).

Nella prima visita, i soggetti sono stati valutati sulle condizioni di igiene orale mediante Oral Hygiene Index – Simplified (OHI-S) secondo Green e Vermillon e sulle condizioni parodontali mediante Gingival Index – Simplified (GI-S) secondo Silness e Loe (Figg. 1, 2).

1 2024 prevention 25 case report

Successivamente alla annotazione degli indici, si è proceduto per ogni soggetto con la rimozione dei depositi molli delle superfici dentali e gengivali mediante garza in TNT imbevuta di soluzione fisiologica. Sono stati infine forniti mezzi e istruzioni di igiene domiciliare del soggetto disabile con coinvolgimento dei caregivers. La tecnica di spazzolatura proposta è stata quella di Fones. Sono stati forniti al riguardo spazzolini nuovi e adeguati alla disabilità e le paste dentifricie selezionate per l’indagine.

Nella seconda visita ad una settimana di distanza, si è verificata l’appropriatezza delle metodiche impartite e sono stati rivalutati in ogni soggetto gli indici di Igiene Orale e Gengivale utilizzati a T0.

I 28 soggetti inclusi nella ricerca sono stati divisi in maniera randomica in due gruppi:

• Gruppo A (dentifricio con idrossiapatite, chitosano e fluoroidrossiapatite);

• Gruppo B (dentifricio Hobagel 365 Junior).

Il dentifricio utilizzato dal Gruppo A, grazie ai suoi 1.450 ppm di F., è efficace in rimineralizzazione di smalto e dentina, previene carie e sensibilità dentinale. Specifici sali minerali con l’antibatterico chitosano vengono prolungatamente rilasciati. Il prodotto ha un RDA inferiore a 56.

Hobagel 365 Junior, è una pasta dentifricia contenente provitamine, tris di floruri a bassa concentrazione, antisettici e oli essenziali (Melaleuca, Manuka, Timo, Eucalipto, Mirra), acido ialuronico. Il tutto reso stabile da un innovativo sistema bioadesivo. L’RDA dichiarato è 30.

La somma numerica dei valori rilevati con OHI-S consente di determinare l’igiene domiciliare come:

• buona (0.0 – 1.2);

• media (1.3 – 3.0);

• scarsa (3.1 – 6.0).

La somma dei valori rilevati con GI-S interpreta la gengivite come:

• lieve (0.1 – 1.0);

• moderata (1.1 – 2.0);

• severa (2.1 – 3.0).

Tutti i dati rilevati sono stati sottoposti ad analisi statistica secondo il Modello Lineare Generalizzato con test multivariati e test di sfericità di Mauchly e con l’ausilio dei software Jasp e IBM SPSS Statistics.

I dati raccolti, concernenti l’Oral Hygiene Index-Semplified ed il Gingival Index-Semplified al T0 ed al T1, sono stati raggruppati per i due gruppi presi in considerazione (Gruppo A e Gruppo B \ Hobagel 365 Junior) ed è stata calcolata una loro media con approssimazione decimale per eccesso. I risultati ottenuti sono riassunti nelle Figure 3, 4, 5.

Risultati

Per quanto riguarda l’OHI-S, la variabile tempo risulta essere significativa (p< .001) evidenziando una diminuzione dei valori al T1 rispetto al T0 in entrambi i gruppi di soggetti presi in considerazione. Sia il Gruppo A che il Gruppo B hanno valori sovrapponibili al T0 (p= .54) ma differenti al T1 (p= .04): i soggetti che hanno utilizzato Hobagel 365 Junior presentano una riduzione maggiore di rimozione di biofilm rispetto ai soggetti del Gruppo A.

Anche per quanto riguarda il GI-S, la variabile tempo risulta essere significativa (p< .001) con diminuzione complessiva per i due gruppi dei valori al T1 rispetto al T0, al cui livello essi sono tendenzialmente sovrapponibili (p= .73). Per questo indice, al T1, i soggetti che hanno utilizzato Hobagel 365 Junior presentano un abbassamento del livello di infiammazione gengivale nettamente superiore ai soggetti del Gruppo A (p< .001).

1 2024 prevention 26 case report

Dai dati ottenuti, è possibile evidenziare che, a livello clinico, in entrambi i gruppi la situazione igienica orale ha subito, nel breve lasso di tempo di una settimana, un reale miglioramento con un passaggio complessivo dal livello “scarso” (punteggio 3.1-6.0) ad un livello “medio”(punteggio 1.3-3.0). Dal punto di vista, invece, della condizione parodontale i soggetti che hanno utilizzato Hobagel 365 Junior sono riusciti a passare ottimamente da una infiammazione “severa” ad una “lieve”: situazione questa migliore rispetto ai soggetti del Gruppo A in cui il miglioramento da una gengivite “severa” si è fermato al livello di una forma “moderata”.

Discussione

Negli ultimi decenni, le procedure bioadesive sono state implementate e consentono oggi un prolungamento del tempo di residenza di principi farmacologici a livello di diversi siti di somministrazione, inclusi quelli odontoiatrici. Quando una formulazione farmaceutica entra in contatto con una mucosa si può parlare di “muco-adesione”. I vantaggi di queste procedure sono evidenti: buon assorbimento ed elevata biodisponibilità di sostanze sia per l’ampiezza mucosa che per il significativo afflusso ematico, ridotta degradazione enzimatica, assenza di dispersione del principio attivo, tipico della via sistemica, con conseguenti ridotti effetti avversi9, 10

Indipendentemente dalle teorie che spiegano la mucoadesione, questa può avere luogo grazie alla presenza in formulazione di sostanze polimeriche sicure e compatibili, che in base alla solubilità dei loro gruppi funzionali vengono suddivise in11:

a. polimeri anionici: molto adesivi per presenza di gruppi carbossilici e solfati. Tra di essi spiccano gli acidi poliacrilici (PAA) e la Na carbossimetilcellulosa (NaCMC);

b. polimeri cationici: che presentano catene con cariche positive che interagiscono col muco caricato negativamente. Il più noto di questi è il chitosano;

c. polimeri non ionici: i più deboli dal punto di vista adesivo. Tra di essi gli esteri della cellulosa e l’idrossietilamido (HEA).

Nella recente letteratura odontoiatrica, molti autori hanno segnalato il fondamentale ruolo clinico dei polimeri. Suraj et el.12 sottolineano le qualità del chitosano (presente nel dentifricio utilizzato dal Gruppo A della nostra ricerca). Negli idrogel dentali, esso manifesta azione osteogenetica, proprietà emostatiche ed attività antimicrobica. Molti altri polimeri manifestano capacità di sostantività sui tessuti molli orali che consentono una rapida guarigione dopo chirurgia orale. Oltre al Ca\Na PVM\Ma copolimero, altre basi polimeriche consentono adesione in armonia con la mucosa orale, anche in condizioni di iperglicemia dei casi osservati13.

Il legame polimerico, inoltre, esalta le proprietà rigenerative orali di altre sostanze. È il caso dell’acido ialuronico14 che si dimostra capace di mantenere la vitalità dei fibroblasti orali ed incrementarne la proliferazione e la migrazione tissutale. I gel bioadesivi, infine, consentono la permanenza nei tessuti parodontali di sostanze aggiuntive quali le nanovitamine E e C, con ottimi risultati nelle gengiviti desquamative che per eritema, erosioni e ulcerazioni colpiscono sia la gengiva marginale che quella aderente15

Nella nostra indagine clinica, i migliori risultati riscontrati nel Gruppo B (Hobagel 365 Junior) possono essere messi in relazione alle caratteristiche di formulazione del gel dentifricio.

Infatti, oltre all’innovativo sistema bioadesivo che rende il gel persistente alla mucosa anche dopo spazzolatura, esso è composto da una serie di principi attivi molto efficaci sui tessuti parodontali. Per alcuni di essi si conosce da tempo il riscontro di efficacia antisettica e\o rigenerante. Ci riferiamo all’acido ialuronico idrolizzato, che soprattutto se a basso peso molecolare, induce neogenesi di connettivo ed epitelio. Ma anche la presenza di componenti vitaminiche contribuisce al processo riparativo. Il

1 2024 prevention 27 case report

tocoferil-acetato è noto per la sua azione antiossidante sulle membrane cellulari e per esaltare l’assorbimento del pantenolo (vit. B) che, a sua volta, svolge azione idratante e rigenerante sulle mucose. I tre floruri presenti nel prodotto sono in quantità ridotta rispetto ad altri dentifrici per le età di crescita, ma a causa del sistema bioadesivo sono trattenuti con perdurante sostantività sui tessuti duri, coniugando efficacia con assenza di abrasività e fluorosi.

L’ innovazione invece origina dal particolare mix di oli essenziali presenti, tutti dotati di capacità antisettiche (olio di melaleuca, manuka, timo, eucalipto e mirra commofora) a cui si uniscono O-cymen-5-ol, isomero del timolo, attivo sui alcuni batteri periopatogeni, e l’ acido P-anisico, anche esso con azione antisettica, ma soprattutto stabilizzante la formulazione del gel dentifricio.

Conclusioni

I gel dentifrici dotati di effettiva e documentata bioadesività sono in grado nei soggetti “special needs”, e non

Bibliografia

solo in essi, di determinare una migliore rimozione dei biofilm intraorali e una efficace guarigione delle gengiviti indotte da placca batterica.

Pur nel limitato numero di casi osservati, i dati clinici da noi reperiti grazie all’utilizzo di due differenti gel bioadesivi dimostrano inequivocabilmente che già in un breve lasso di tempo gli indici di placca e di gengivite vengono a ridursi significativamente. In particolare, Hobagel 365 Junior è in grado di rimuovere accuratamente i biofilm, ma soprattutto di determinare un netto miglioramento clinico dell’infiammazione gengivale, che da “severa” o “moderata” tende nella più parte dei casi a divenire “lieve”, se non assente.

È naturalmente compito dell’ odontoiatra e dell’igienista dentale monitorare il cavo orale di soggetti portatori di handicap e attuare gli opportuni e\o possibili interventi clinici a favore di tali soggetti. La corretta istruzione dei medesimi, o dei loro caregivers, alle specifiche pratiche di igiene orale consentirà il mantenimento nel tempo dei risultati clinici ottenuti.

1. Mitra M., Long-Bellil L., Moura I., Miles A., Kaye H.S. Advancing health equity and reducing health disporities for people with disabilities in the United States. Health Aff. 2022;41: 1379-1386.

2. Hanisch M., Hoffmann T., Bohner L., Hanisch L., Benz K., Kleinheinz J., Jackowski J. Rare diseases witrh periodontal manifestations. Int. J. Environ.Res. Public Health 2019; 16: 867-872.

3. Goud E., Gulati S., Agrawal A., Pani P., Nishant K., Pattnaik S., Gupta S. Implications of Down’s Syndrome on oral health status. J. Family Med.Prim.Care 2021; 10: 4247-4252.

4. Ali H.M., Mustafa M., Hasabalrasol S., Elshazali O.H., Nasir E.F., Ali R.W., Berggreen E., Skeie M.S. Presence of plaque, gingivitis and caries in Sudanese children with congenital heart defects. Clin. Oral Invest. 2017;21: 1299-1307.

5. Fakroon S., Arheiam A., Omar S. Dental caries experience and periodontal treatment needs of children with autistic spectrum disorder. Eur. Arch. Paediatr.Dent 2015;16: 205-209.

6. Franca K., Cintra G.T., Cardoso-Sousa L., da Silva W., Herval H.M., Sabino-Silva R., Turrioni A.P., Salivary and dental plaque composition in disabled children who require home care: a cross-sectional investigation. J. Int. Soc. Prev. Comm. Dent. 2022;12:336-344.

7. de Oliveira Carvalho I., Purgato G.A., Piccolo M.S., Pizziolo V.R., Coelho R., Diaz-Munoz G., Alves Nogueira Diaz M. In vitro anticariogenic and antibiofilm activities of toothpastes formulated with essential oils. Arch Oral Biol. 2020;117:104834. doi:10.1016.

8. Gola G., Polo F. Efficacia dei gel bio-adesivi nel controllo di placca dentale e di gengiviti nei soggetti in eta’ pediatrica. Quint. Int. 2022; 3: 48-53.

9. Peppas N., Buri P. Surface,interfacial and molecular aspects of polymer bioadhesion on soft tissues. J. Controll. Release 1985;2:257-275.

10. Jimenez-Castellanos M., Hussein Z., Rhodes C. Mucoadhesive drug delivery systems. Drug Develop. Ind. Pharm. 1993; 19:143194.

11. Andrews G., Laverty T., Jones D. Mucoadhesive polymeric platforms for controlled drug delivery. Eur. J. Pharm. Biopharm. 2009; 71:505-518.

12. Suraj A., Gotam D., Mohammed A., Vishakha G., Suheel Manzoor B., Priyanka S., Saeed A., Anshad M., Shashit S., Shahabe S., Gurparkash S., Anchal O. Role of Chitosan Hydrogels in clinical dentistry. Gels 2023;9: 698-709.

13. Jiwei S., Tiantian C., Baoying Z., Wenjie F., Yufeng S., Haojie W., Man Z., Wenhao Z., Jinfeng P., Jinyu W., Yifan W., Lihong F., Yingying C., Lili C., Cheng Y. Acceleration of wound healing under diabetes mellitus conditions using bioadhesive hydrogel. ACS Appl. Mater. Interfaces 2023; 15: 416-431.

14. Asparuhova M., Kiryak D., Eliezer M., Mihov D., Sculean A. Activity of two hyaluronan preparations on primary human fibroblasts. J. Period. Res. 2019;54:33-45.

1 2024 prevention 28 case report
Hobama S.r.l. Piazza della Repubblica, 26 - 20124 Milano - info@hobagel.it

Secchezza della bocca in menopausa: un problema spesso trascurato

Michaela von Geijer, Odontoiatra e Specialist Odontology presso TePe Oral Hygiene Products.

Introduzione

Le donne che vanno in menopausa hanno alte probabilità di subire molti cambiamenti orali, uno dei quali è la ridotta produzione di saliva, che può aumentare il rischio di malattie orali e compromettere la qualità della vita. Questo articolo di Michaela von Geijer, dottoressa in chirurgia orale e dipendente di TePe AB, spiega l’impatto negativo sulla salute orale durante la menopausa e cosa si può fare per migliorarla.

Cos’è la menopausa?

La menopausa, ovvero la cessazione permanente delle mestruazioni, è una fase naturale della vita di una donna ed è il risultato di cambiamenti nelle funzioni ormonali e riproduttive delle ovaie. La media di inizio della menopausa è di circa 52 anni. Per alcune donne, la menopausa inizia intorno ai 40 anni. Oltre l’80% delle donne presenterà sintomi fisici e/o psicologici, ma la gravità varierà molto da una donna all’altra1

A causa dei livelli ridotti di ormoni sessuali (estrogeni, progesterone e testosterone), durante la menopausa molte donne manifestano sintomi fastidiosi come vampate di calore, brividi, sudorazione notturna, insonnia, umore avverso, secchezza vaginale, infezioni urogenitali, pelle secca, diminuzione della massa muscolare, osteoporosi e alcune possono soffrire di cambiamenti cognitivi2-4. Esiste anche un aumento del rischio di malattie cardiovascolari e del diabete5, 6

Cambiamenti nella bocca durante la menopausa

Si parla raramente dei cambiamenti che si verificano nella bocca. La menopausa può avere un impatto su: salute parodontale, perdita di densità ossea (osteoporosi), disagio orale e quantità di saliva7. Alcuni cambiamenti nella cavità orale e nella saliva possono verificarsi a causa dell’invecchiamento, ma possono anche essere causati da un drastico calo di estrogeni

e progesterone 3, 8 . Nella cavità orale sono presenti numerosi recettori per gli estrogeni in molti siti diversi, come le cellule della mucosa orale, le ghiandole salivari e le cellule (osteoblasti/fi broblasti) nel tessuto di supporto del dente (tessuto parodontale)7. Gli estrogeni sembrano avere un impatto anche sulla risposta infiammatoria (citochine) e sulla permeabilità vascolare7, 9. La diminuzione dei livelli di estrogeni influenzerà la mucosa orale in modo simile alla mucosa vaginale, ovvero assottigliamento e atrofia. Ciò, insieme alla minore saliva, rende la mucosa più suscettibile alle infezioni, alla candida e alla sindrome della bocca urente10. Le donne in menopausa rappresentano una fetta significativa della popolazione che necessita di particolare attenzione da parte dei professionisti odontoiatri e del personale farmaceutico quando si tratta di salute orale.

L’importanza della saliva

La secchezza della bocca viene spesso definita xerostomia, ossia la sensazione di bocca secca di una persona. La saliva svolge un ruolo importante nella bocca. Facilita la masticazione, la digestione, la percezione dei gusti, la deglutizione e l’elocuzione. La saliva è necessaria anche per pulire, tamponare, lubrificare la mucosa orale e proteggere i tessuti dagli agenti microbici. La mancanza di saliva può avere un impatto negativo sulla qualità della vita e sulla nutrizione 8. Inoltre, aumenta il rischio di carie, parodontite (infiammazione delle gengive), alitosi e formazione di placca sui denti10

Secondo gli studi, tra il 23 e il 45% delle donne in menopausa soffre di xerostomia e il 43% ha riferito di soffrire di disturbi orali10. Politerapia, diabete, stress, disidratazione, caffeina, alcol, fumo, respirazione orale, invecchiamento, malattie delle ghiandole salivari, alcune malattie sistemiche, radiazioni locali e chemioterapia sono altri fattori che influenzano il flusso e la composizione della saliva3

1 2024 prevention 30 industry report

L’aumento del rischio di malattie orali dovuto alla menopausa

Poiché le cellule della mucosa e le ghiandole salivari contengono recettori per gli estrogeni, nelle donne in menopausa sia il flusso che la composizione della saliva saranno influenzati3. A causa delle modificazioni della saliva, ci sarà una minore attività antibatterica, antivirale e antifungina, disturbi del gusto, e ridotta idratazione della mucosa. Ciò renderà la mucosa più suscettibile a lesioni e infezioni come la candidosi.

Consigli per mantenere una bocca sana in menopausa

È fondamentale aumentare la consapevolezza della salute orale quando si parla di menopausa, per ridurre al minimo il disagio orale e quindi migliorare la qualità della vita.

• Spazzolamento quotidiano dei denti. Spazzolare accuratamente due volte al giorno per rimuovere gli strati di placca dentale, che possono accumularsi rapidamente quando c’è meno saliva. Pulire tutte e 5 le superfici dei denti, soprattutto lungo il bordo gengivale.

tali. È proprio in questi ultimi dove più spesso hanno origine carie e parodontite.

• Scegliere con attenzione il dentifricio. Utilizzare un dentifricio molto delicato con fluoro, ma senza SLS. L’SLS è un agente schiumogeno noto per irritare la mucosa orale.

• Aggiungere il collutorio alla routine quotidiana. Esistono collutori appositamente formulati che allevieranno i disagi dovuti alla bocca secca. Il collutorio dovrebbe essere delicato e contenere fluoro per rafforzare la superficie esterna dei denti, ma senza alcol poiché aumenterebbe la secchezza buccale.

• Migliorare la respirazione. La secchezza della bocca aumenta l’accumulo di batteri sulla lingua che può causare l’alitosi. Usare un pulisci lingua per migliorare l’alito.

• Alimentazione. Mangiare cibi sani ricchi di fibre e vitamine, in particolare vitamina D e calcio. Mangiare preferibilmente cibi delicati con meno sale ed evitare consistenze troppo dure che potrebbero causare lesioni al tessuto orale sensibilizzato. Cercare di limitare l’assunzione di zuccheri e cibi ricchi di grassi.

• Rimanere idratata. L’acqua è il miglior dissetante. Aumentare l’assunzione di acqua durante il giorno. Si può usare un nebulizzatore d’acqua. Evitare alcol, bibite o

1 2024 prevention 31 industry report

• Stimolare la saliva. Usare pastiglie senza zucchero e gomme da masticare allo xilitolo per aumentare il flusso di saliva.

• Calmare il tessuto orale. Applicare localmente gel/ spray che idratano, leniscono e/o rivestono la mucosa orale.

• Provare a smettere di fumare o “svapare”. Il tabacco provoca secchezza e aumenta il rischio di malattie gengivali.

• Controlli odontoiatrici. Recarsi regolarmente dal dentista per controlli, raccomandazioni e consigli personalizzati; almeno una o due volte l’anno poiché la bocca secca aumenta il rischio di malattie orali.

Se si soffre di forte secchezza orale o di problemi crescenti in bocca, è consigliabile contattare un medico e/o un dentista per ulteriore consiglio e supporto.

Prodotti che forniscono comfort alla bocca secca

TePe ha dentifrici per tutta la famiglia. Come dentista, cosa consiglierebbe a un paziente con la bocca secca?

Il dentifricio TePe Pure (menta delicata)! Un dentifricio perfetto per chi ha la bocca secca e poca saliva. Contiene fluoro per rinforzare la superficie esterna del dente ed è senza l’agente schiumogeno SLS, che può causare irritazione.

TePe ha recentemente lanciato TePe Hydrating Mouthwash. Come dovrebbe essere utilizzato questo collutorio?

Per chi ha la bocca leggermente secca, questo collutorio idrata la mucosa, stimola la saliva e aiuta a prevenire la carie. Non contiene alcol, che aumenta la secchezza, e ha un sapore fresco di mela/menta piperita. Può essere utilizzato 1–2 volte al giorno. Sciacquare la bocca quando lo si desidera, preferibilmente non contemporaneamente allo spazzolamento poiché il dentifricio aggiunge comunque una protezione grazie alla presenza di fluoro. Il pratico tappo dosatore facilita la dose da utilizzare, 10 ml. TePe propone anche un collutorio idratante non aromatizzato per le persone con la bocca molto secca e sensibilità agli aromi.

Nella nuova gamma idratante di TePe, c’è anche un gel per la bocca, TePe Hydrating Mouth Gel (menta piperita delicata). Anche il gel deve essere utilizzato 1–2 volte al giorno?

Può essere utilizzato tutte le volte che se ne sente il bisogno, di giorno o di notte. Il gel si presenta in un piccolo e pratico flacone pompa airless, facile da portare con sé durante la giornata. Dalla formula delicata lenitiva e idratante, il gel dona comfort immediato e duraturo e lascia una sensazione fresca di menta piperita. Per chi ha pochissima o nessuna saliva, esiste il gel senza aromi

1 2024 prevention 32 industry report

lini, prodotti speciali e dentifricio. Tutte le referenze TePe sono sviluppate in collaborazione con esperti del settore dentale e prodotte in Svezia, con energia rinnovabile al

Bibliografia

1. Gracia C, Freeman E. Onset of the Menopause Transition: The Earliest Signs and Symptoms. Obstet Gynecol Clin Noth Am. 2018 Dec;45(4):585-597.

2. Santoro N, Epperson CN, Mathews SB. Menopausal Symptoms and Their Management. Endocrinol Metab Clin North Am. 2015 Sep;44(3):497-515.

3. Jacob LE, Krishnan M, Mathew A, Mathew AL, Baby TK, Krishnan A. Xerostomia – A Comprehensive Review with a Focus on Mid-Life Health. J Midlife Health. 2022 Apr-Jun;13(2):100-106.

4. Shulman LP. Andogens and menopause. Minerva Ginecol. 2009 Dec;61(6):491-7.

5. Anagnostis P, Lambrinoudaki I, Stevenson J, Goulis D. Menopause-associated risk of cardiovascular disease. Endocr Connect 2022 Apr1;11(4).

6. Paschou S, Anagnostis P, Pavlou D, Vryonidou A, Goulis D, Lambrinoudaki I. Diabetes in Menopause: Risks and Management. Curr Vasc Pharmacol. 2019;17(6):556-563.

7. Suri V, Suri V. Menopause and oral health. J Midlife Health. 2014 Jul-Set;5(3):115-120.

8. Xu F, Laguna L, Sarkar A. Aging-related changes in quantity and quality of saliva: Where do we stand in our understanding? J Texture Stud. 2019 Feb;50(1):27-35.

9. Buencamino MC, Paloma L, Thacker HL. How menopause affects oral health, and what we can do about it? Cleve Clin J Med. 2009 Aug;76(8):467-75.

10. Ciesielska A, Kusiak A, Ossowska A. Changes in the Oral Cavity in Menopausal Women- A Narrative Review. Int J Environ Res Public Health. 2022 Jan;19(1):253.

1 2024 prevention 33 industry report

L’importanza della saliva per la salute orale

Dental Tribune Italia

La saliva svolge funzioni importanti non solo per il cavo orale ma per tutto l’organismo. Questo tema sarà analizzato in occasione del congresso del 27/28 Settembre 2024 che celebrerà il ventennale del Corso di Studi in Igiene Dentale dell’Università di Pavia. In questa occasione illustri professionisti cercheranno di definire l’importanza della saliva sia nello sviluppo delle patologie del cavo orale sia nella correlazione con altre patologie sistemiche. Per discutere di quelli che saranno i focus dell’evento, abbiamo avuto il piacere di intervistare Andrea Butera, Direttore delle Attività Didattiche e Assegnista di Ricerca dell’Università di Pavia.

Buon giorno Andrea Butera, come nasce la scelta di festeggiare questo importante traguardo per il Corso di Studi in Igiene Dentale dell’Università di Pavia affrontando il tema della saliva?

L’idea di festeggiare il ventennale dell’istituzione del Corso di Studi in Igiene Dentale dell’Università di Pavia (vedi il programma alla pagina successiva), nasce dalla voglia di inglobare tutti gli ex allievi e non, gli attuali studenti, in un unico evento che possa arricchire ogni singolo professionista mediante i corsi pre-congressuali e la giornata congressuale stessa su un tema molto rilevante nella pratica clinica dell’igienista dentale. Oltre alla giornata congressuale, in parallelo, è stato fortemente voluta una sessione poster sulle tematiche congressuali, istituendo il premio Prof. Vittorio Collesano, fondatore del Corso di Studi stesso.

Quali sono i ruoli che svolge la saliva nella bocca?

La saliva, come tutti sappiamo, è secreta da tre coppie di ghiandole salivari: parotidi, sottomandibolari e sottolinguali. È costituta per il 99% di acqua e 1% di proteine, la sua funziona principale è quella di lubrificare e proteggere le mucose del cavo orale ed esofagee, mediante un’azione antibatterica, antimicotica e antivirale. Ha un’elevata capacità tampone e ha un ruolo cardine nella guarigione delle ferite e nei processi digestivi.

L’igienista dentale ha un ruolo molto importante nella prevenzione e intercettazione delle patologie orali. In questa fase che importanza ha la saliva?

In condizione di salute la saliva è secreta a una velocità compresa tra 0,3 e 7,0 mL/min, se presenti disturbi legati a patologie sistemiche e/o all’assunzione di farmaci, la sua produzione può essere ridotta, manifestando degli episodi di xerostomia con le relative conseguenze che si possono presentare come lesioni a livello mucoso e l’aumento dell’incidenza delle lesioni cariose. Pertanto l’igienista dentale mediante un’anamnesi accurata e un corretto esame obiettivo, con l’ausilio di test salivari, svolge un ruolo cardine nell’intercettazione di una corretta funzione delle ghiandole salivari e delle patologie ad esse correlate.

Quali conoscenze potranno acquisire i partecipanti?

I partecipanti avranno la possibilità di apprendere da Professori Universitari che si occupano da anni di questo argomento tutte le nozioni per identificare degli episodi di ipo o iperscialia, come si può valutare la progressione della malattia parodontale dai marker salivari, come incide la saliva nei processi di remineralizzazione dello smalto e tutti i protocolli preventivi per ridurre l’incidenza delle lesioni cariose, e per ultimo, non per ordine di importanza, il ruolo della saliva nei pazienti che soffrono di apnee notturne e disturbi ostruttivi del sonno.

1 2024 prevention 34 l'intervista

VENERDÌ 27 SETTEMBRE

14.00 - 18.00

Corsi precongressuali in fase di definizione

SABATO 28 SETTEMBRE

8.30 - 9.00

9.00 - 9.15

Registrazione dei partecipanti

Saluti Istituzionali

PRESIDENTI DI SESSIONE Andrea Butera, Cristina Panzeri, Michela Rossini

9.15 - 10.00

10.15 - 11.00

MICHELE MIGNOGNA

Il management del paziente con iposcialia e iperscialia

GERMANO ORRÙ

MicroRNA salivari quali potenziali biomarcatori precoci di patologie orali

11.15 - 11.45 Coffee break

12.00 - 12.45

GIANNA MARIA NARDI

Le tecnologie a supporto del cavo orale per ridurre le lesioni cariose

13.00 - 14.00 Pausa pranzo

PRESIDENTI DI SESSIONE Andrea Scribante, Annamaria Genovesi

14.15 - 15.00

GIOVANNA ORSINI

Il ruolo della saliva nella remineralizzazione dello smalto

15.15 - 16.00

MARZIA SEGÙ

I pazienti osas e il flusso salivare

16.15 - 16.30

Discussione e conclusione

16:45 SESSIONE POSTER - Premio Prof. Vittorio Collesano

PER MAGGIORI INFORMAZIONI Tueor Servizi | congressi@tueorservizi.it | Tel. 011 311 06 75 | 350 059 09 51 1 2024 prevention 35 l'intervista

I benefici della fluorizzazione dell’acqua potrebbero aver raggiunto il picco nei paesi ricchi

MANCHESTER, REGNO UNITO: I ricercatori dell’Università di Manchester hanno condotto nel Regno Unito uno studio pionieristico incentrato sulla salute orale e l’impatto economico della fluorizzazione dell’acqua su adulti e adolescenti, considerando le popolazioni con ampio accesso al fluoruro topico. Anche se i risultati indicano come la fluorizzazione dell’acqua rimane vantaggiosa, i vantaggi non sono sostanziali. Pertanto, nei paesi ad alto reddito, i potenziali benefici del solo trattamento di fluorizzazione dell’acqua potrebbero aver raggiunto il loro apice, altre misure come la promozione di ambienti che favoriscano scelte alimentari più sane potrebbero essere più efficaci.

Le prime ricerche sull’applicazione della fluorizzazione dell’acqua comunitaria per combattere la carie hanno indicato una riduzione fino a due terzi del numero medio di denti colpiti. «La fluorizzazione dell’acqua potabile è giustamente riconosciuta come una delle più grandi conquiste del ventesimo secolo in materia di salute pubblica», ha dichiarato in un comunicato stampa la dott.ssa Deborah Moore, ricercatrice associata presso l’Università di Manchester.

Come per qualsiasi intervento in materia di sanità pubblica, è necessario un monitoraggio costante, in quanto il contesto di attuazione evolve nel tempo. «Quando i dentifrici al fluoro divennero disponibili a metà degli anni ‘70 il contesto della fluorizzazione dell’acqua è cambiato», ha spiegato la dott.ssa Moore.

Sebbene la più ampia adozione della fluorizzazione dell’acqua sia considerata una strategia di salute pubblica efficace ed efficiente in termini di costi per la protezione permanente contro l’insorgenza graduale della carie, esistono scarse evidenze pubblicate sulla sua efficacia negli adulti. Nei paesi ad alto reddito, la natura della carie si è trasformata da malattia infantile che progredisce rapidamente, portando alla perdita precoce dei denti, a una malattia che progredisce più lentamente, e ora gli adulti ne sopportano la maggior parte del peso. Dato l’uso diffuso del dentifricio al fluoro e il numero crescente di persone che conservano i denti naturali in età avanzata, in questo nuovo studio il team di ricerca ha cercato di valutare i benefici per la salute dentale negli adulti.

I ricercatori hanno utilizzato regolarmente i dati raccolti dal Servizio Sanitario Nazionale (NHS) sui trattamenti dentali presentati tra il 2010 e il 2020. Lo studio ha incluso persone di età pari o superiore a 12 anni che ricevevano cure dentali primari dal NHS in Inghilterra, per un totale di 17,8 milioni di pazienti. L’analisi ha coinvolto individui esposti all’acqua potabile fluorurata e quelli senza, ottenendo un campione di 6,4 milioni di pazienti.

I risultati hanno mostrato che il numero medio di trattamenti dentali invasivi riscontrati dal NHS, come restauro ed estrazione, era inferiore del 3% nel gruppo con fluorurazione dell’acqua, rispetto al gruppo di controllo. Inoltre, il numero medio di denti cariati, mancanti e con otturazioni era inferiore del 2% nel gruppo con fluorizzazione. Non vi è stata alcuna differenza significativa nel numero medio di denti mancanti per individuo e i dati non hanno fornito prove convincenti del fatto che la fluorizzazione dell’acqua abbia influenzato in modo significativo le disparità sociali in ambito di salute dentale.

1 2024 prevention 36 trends

Implicazioni per l’economia sanitaria

Tra il 2010 e il 2020, il costo stimato per una fluorizzazione ottimale dell’acqua in Inghilterra è stato di 10,30 sterline (12 euro circa) a persona. Durante questo periodo, le spese per le cure odontoiatriche del NHS per i pazienti nelle aree con fluorizzazione ottimale sono state ridotte del 5,5%, pari a un risparmio di 22,26 sterline a persona.

«I pazienti che hanno ricevuto una fluorizzazione ottimale dell’acqua hanno avuto effetti positivi ridotti. Tuttavia, poiché i costi dell’odontoiatria del NHS sono molto più elevati di quelli della fluorizzazione dell’acqua, le riduzioni relativamente modeste osservate nelle visite dal dentista hanno comunque comportato un ritorno positivo per il settore pubblico. Questo rendimento dovrebbe essere valutato alla luce dei costi previsti e della durata di qualsiasi investimento di capitale proposto per la fluorizzazione dell’acqua, compresi i nuovi programmi», ha affermato la dott.ssa Moore.

Il fluoruro riduce solo l’assunzione di zucchero

«Non c’è dubbio che a livello di popolazione, interventi di prevenzione di massa per la carie sono ancora necessari. La carie rimane quasi universale nell’età adulta, anche nelle popolazioni che hanno avuto accesso ai dentifrici e all’acqua al fluoro sin dalla nascita. Tuttavia, nei paesi ad alto reddito, stiamo raggiungendo il limite di ciò che si può ottenere con i soli fluoruri», ha commentato la dott. ssa Moore.

I ricercatori hanno sottolineato che esiste una relazione dose-risposta tra l’assunzione alimentare di zuccheri liberi e la carie, e i fluoruri non fanno altro che attenuare questa associazione. «La relazione tra consumo di zucchero e carie dentale è molto chiara: il consumo medio di zuccheri nel Regno Unito è più del doppio del livello raccomandato per gli adolescenti e quasi il doppio per gli adulti. La gestione del consumo di zucchero è un’altra area politica da esaminare», ha sottolineato la dott.ssa Moore.

Gli autori dello studio hanno concluso che la fluorizzazione dell’acqua ha dato un contributo senza precedenti alla salute orale nel ventesimo secolo; tuttavia, per il ventunesimo secolo, si può ottenere un impatto maggiore sostenendo l’assunzione di alimenti sani.

Lo studio, intitolato “How effective and cost-effective is water fluoridation for adults and adolescents? The LOTUS 10-year retrospective cohort study”, è stato pubblicato l’8 gennaio 2024 su Community Dentistry and Oral Epidemiology, prima dell’inclusione in un numero.

1 2024 prevention 37 trends

La metformina potrebbe aiutare a prevenire le malattie orali e sistemiche nei pazienti parodontali

Iveta

Dental Tribune International

LONDRA, Regno Unito: Fattori come il metabolismo del glucosio, la nutrizione, lo stress ossidativo e l’invecchiamento guidano la progressione parodontale. Tuttavia, gli attuali trattamenti parodontali non affrontano direttamente la risposta infiammatoria metabolica dell’ospite, che è fondamentale per la gestione della malattia parodontale. Anche se la metformina sistemica è ampiamente utilizzata nella gestione del diabete, il farmaco non è mai stato utilizzato nella gestione del trattamento della parodontite. Ora, un nuovo studio ha riferito che la metformina aiuta a controllare l’infiammazione e i livelli

di glucosio nella bocca e nel corpo e potrebbe essere utilizzata come intervento per aiutare a prevenire sia le malattie orali che sistemiche.

La ricerca suggerisce che circa la metà della popolazione adulta di età superiore ai 30 anni ha una qualche forma di malattia parodontale, e la cifra sale al 70% negli adulti di età superiore ai 65 anni. La malattia è fortemente associata a condizioni sistemiche quali diabete e obesità, e alcuni studi hanno dimostrato che il controllo del metabolismo del glucosio nei pazienti può contribuire alla

1 2023 prevention 38 medicina orale e interdisciplinare

longevità e ridurre lo sviluppo della malattia parodontale. Analogamente, è stato dimostrato che i pazienti trattati con successo per malattia parodontale migliorano il metabolismo del glucosio e la salute cardiovascolare.

Nello studio, i ricercatori hanno esaminato gli effetti della metformina, attualmente utilizzata come agente di prima linea per il controllo glicemico, come modulatore farmaceutico del metabolismo del glucosio. Il farmaco è stato scelto per il suo rapporto costo-efficacia, sicurezza e potenziale.

Lo studio ha rilevato che la metformina ha prodotto una significativa prevenzione nella perdita ossea durante la malattia parodontale indotta e della perdita ossea correlata all’età in studi in vivo nei topi. I ricercatori hanno poi testato l’uso della metformina in pazienti con malattia parodontale senza diabete, il primo studio clinico di questo tipo. Per testare l’efficacia del farmaco, la metà dei partecipanti ha ricevuto 850 mg di placebo e l’altra metà ha ricevuto 850 mg di metformina. Tutti i partecipanti sono stati sottoposti a terapia orale non chirurgica. I ricercatori hanno esaminato i pazienti al baseline, tre giorni dopo e una settimana dopo. La rivalutazione parodontale è stata effettuata sei e 12 settimane dopo la terapia orale non chirurgica.

Lo studio ha mostrato un miglioramento degli esiti clinici nel trattamento della malattia parodontale e nel controllo dei livelli di glucosio e di infiammazione sia nella bocca che nel corpo, anche in presenza di alti livelli di batteri. Alla luce dei dati, i ricercatori ritengono che l’uso di metformina per la prevenzione della malattia parodontale potrebbe anche aiutare a controllare l’aumento di peso e i livelli di glucosio.

«I nostri pazienti spesso non hanno strumenti per combattere le malattie gengivali oltre a lavarsi i denti, ma per la prima volta abbiamo un potenziale strumento che può aiutare non solo con le malattie gengivali, ma anche per la salute generale», ha detto in un comunicato stampa l’autore principale Dr Vitor Neves, docente accademico presso il King’s College London. Ha poi aggiunto: «La metformina è immediatamente disponibile in tutto il mondo ed è poco costosa, permettendo così l’uso del farmaco come medicinale preventivo per malattie orali e sistemiche che potrebbe essere adottato su scala globale». Spiegando che questo aiuterebbe molti ad invecchiare in modo più sano.

Lo studio, intitolato “Repurposing metformin for periodontal disease management as a form of oral–systemic preventive medicine”, è stato pubblicato online il 10 ottobre 2023 sul Journal of Translational Medicine

1 2024 prevention 39 medicina orale e interdisciplinare

L’Odontoiatra del domani è un medico multidisciplinare che fornisce terapie di precisione

ACatania il 16-17 febbraio si è svolto il XXVIII congresso nazionale COI-AIOG. Il contesto primaverile di fronte al mare e alle scogliere laviche presso il Centro Congressi Four Season By Sheraton di Aci Castello sono state le cornici ideali di quello che definirei un laboratorio culturale e scientifico, dove l’evoluzione dell’odontoiatria moderna non è stata trattata secondo il ridondante tema delle nuove tecnologie ma dal punto di vista delle competenze multidisciplinari dell’odontoiatra che, supportato dalle tecnologie, si pone al centro di discipline mediche per selezionare le terapie orali e non solo, adeguate e personalizzate alle cure nell’ambito delle patologie generali del paziente e in collaborazione con le altre specialità mediche. Per tale motivi parte dei relatori presenti appartenevano ad altre specialità mediche quali il professore Riccardo Polosa, Ordinario di Medicina Interna presso l'Università di Catania, Direttore della Scuola di Specializzazione in Reumatologia e del Centro per la Prevenzione e Cura del Tabagismo, la cui relazione aveva come oggetto la riduzione del rischio di

fumo da tabacco e l’impatto sulla salute orale. Il pediatra Antonio Giulino ha messo in rilievo i segnali di allarme di patologie orali nell’ambulatorio pediatrico. La collaborazione tra odontoiatra e otorinolaringoiatra è stata trattata con grande competenza da Salvatore Distefano nella sua relazione sulla patologia di confine oro-sinusale.

Si è parlato per la prima volta in assoluto nell’ambito di un congresso dentale di fibromialgia, una malattia molto diffusa (oltre due milioni di persone in Italia) e ancora poco conosciuta, grazie alla relazione di Alessandro Molica Colella e Giorgio Lo Giudice che hanno affrontato anche il tema delle correlazioni con la salute oro facciale, mentre specificatamente Antonella Abbinante e Maria Teresa Agneta hanno trattato il tema dell’endometriosi e della malattia orale con Patrizia Barone che ha spiegato il coinvolgimento dell’articolazione temporo mandibolare nell’artrite idiopatica giovanile. Grande rilievo nel corso di tutto il Congresso è stato data all’odontoiatria di genere, in quanto nell’ambito delle terapie di precisione si deve tenere in grande considerazione la medicina orale di genere, come nuovo paradigma di cura, tema trattato con i dati della ricerca da parte di Giuseppina Campisi e Vera Panzarella. Più specificatamente in ambito parodontale, Anna Simonelli ha analizzato la rilevanza parodontale del sesso e del genere nel paziente sano o con compromissione sistemica, in odontoiatria pediatrica Angela Militi ha spiegato l’importanza dell’odontoiatria di genere in età evolutiva e infine Rosa Multari ha trattato l’approccio multidisciplinare in odontoiatria di genere per quanto riguarda le riabilitazioni con ortodonzia invisibile. Da notare che ben 11 erano le relatrici donne, cosa assai rara nei congressi. Alle relazioni citate si sono alternati altrettanti relatori che hanno parlato degli attuali orientamenti clinici e non solo. Roberto Lo Giudice e Francesco Puleio hanno parlato di machine learning, IA e realtà aumentata non senza creare inquietudine nel pubblico, mentre Antonino Nicolò con le sue competenze di odontoiatra conservativo ed estetico, parte del gruppo Style Italiano, in soli 20 minuti ha spiegato praticamente ai colleghi la Mobile Dental Photography, come evoluzione estremamente semplificata della fotografia in odontoiatria.

1 2024 prevention 40 meeting & congressi
La dott.ssa M. Cannarozzo durante la presentazione del Congresso.

incremento del fatturato a dispetto di altre prestazioni. Ma Mandrillo, che insieme ad Ezio Costa è stato pioniere di medicina estetica in odontoiatria e insegna con un master universitario la materia, ha messo in guardia sulla curva di apprendimento e di formazione che occorre al professionista per erogare prestazioni di qualità, predicibilità e incremento della reputazione dello studio.

Soddisfazione della Presidente nazionale Maria Grazia Cannarozzo, che insieme al direttivo della COI-AIOG. hanno fatto gli onori di casa. La scelta dei temi multidisciplinari e di odontoiatria di genere è stata accolta con grande interesse anche dai media regionali a cui la stessa Cannarozzo e alcuni relatori hanno rilasciato importanti interviste, favorendo la conoscenza al pubblico della pazientela.

anni del pensionamento per i direttori e i primari, che così potranno affiancare i successori con momenti formativi. A breve sarà approvato lo scudo penale per medici e odontoiatri rivedendo la Legge Gelli-Bianco. Leitmotiv: prevenzione, accesso alla medicina sociale e cure sostenibili. In particolare negli interventi di Maria Grazia Cannarozzo, che suggerisce di lavorare anche insieme alle società scientifiche. Il Presidente della Cao di Catania, Giampaolo Marcone sottolinea come l’Ordine professionale abbia sempre come mission la tutela dei pazienti e le cure dei cittadini. L’odontoiatria italiana è costosissima ma è anche la migliore del mondo e tuttavia rimane un nodo fondamentale irrisolto, manifestazione di civiltà in un paese, che è quello dell’accesso alle cure odontoiatriche essenziali. Marcone è fiducioso che si daranno risposte urgenti, ma su tale tema è indispensabile l’intervento del decisore pubblico.

1 2024 prevention 41 meeting & congressi
Il dott. Iandolo, Presidente nazionale della Commissione Albo Odontoiatri. Il dott. Marcone, Presidente della Cao di Catania.

Diabete e malattia parodontale

Dott.ssa Elisabetta Ferrara, Università di Chieti - Corso di Studio in Igiene Dentale

La forza della ricerca nel generare insight da dati medici complessi per guidare le decisioni cliniche deve essere bilanciata dalla valutazione individuale del paziente, che comporta l’analisi dei rischi per esprimerne una stratificazione che guidi il clinico verso la comprensione dei fattori che modellano anche relazioni complesse con altre comorbilità legate al diabete, monitorando la risposta al trattamento e fornendo un iter terapeutico personalizzato. Una corretta anamnesi con l’attenzione al tempo di insorgenza della malattia diabetica e valori di laboratorio, congiuntamente a una scrupolosa valutazione parodontale, completano un’azione transdisciplinare centrata sul paziente per la gestione della malattia parodontale con diagnosi di diabete integrando dati clinici con fattori di rischio non tradizionali. Il ripristino della salute parodontale in un soggetto affetto da diabete o ad alto rischio di insorgenza della patologia metabolica ha il potenziale di mitigare il carico infiammatorio sistemico, determinante nella compromissione dell’azione dell’insulina.

Oltre la malattia parodontale, principale complicanza orale attribuita al diabete, la letteratura scientifica mostra una elevata prevalenza di alterazioni correlate allo scarso controllo glicemico, quali: infezioni fungine orali come la candidosi orale, ipofunzione salivare, che può essere responsabile della xerostomia e alterazioni della composizione della saliva, una maggiore suscettibilità all’insorgenza di carie, nonché una maggiore prevalenza di lesioni periapicali. I possibili meccanismi che spiegherebbero l’aumentata predisposizione alle complicanze orali includono le tipiche caratteristiche fisiopatologiche del diabete, tra cui la disregolazione immunitaria, la vasculopatia e la neuropatia.

Il Diabete evidenzia un’epidemia crescente, pertanto si parla di una condizione relativamente comune che impone in primo luogo la conoscenza della gestione delle alterazioni fisiopatologiche che influiscono sull’insorgenza della malattia parodontale e delle alterazioni orali succitate. La ridotta capacità di difesa dell’ospite che include

1 2023 prevention 42 notizie dalle aziende

la soppressione della produzione di citochine, difetti nella fagocitosi, disfunzione delle cellule immunitarie e incapacità di eliminare agenti patogeni, coinvolge tutti i distretti corporei e le strutture di supporto parodontale sono direttamente coinvolte. La malattia, insieme alle sue molteplici complicanze, pone la necessità di agire con una strategia ben definita che si differenzia dal paziente sano per una maggiore incisività e un monitoraggio a intervalli ravvicinati laddove si assista alla manifestazione di una parodontopatia in un paziente con scarso controllo glicemico. È opportuno che il trattamento professionale sia sostenuto da un controllo domiciliare da parte del paziente con l’ausilio di dispositivi chimici favorenti la guarigione tissutale, come un collutorio a base di perossido d’idrogeno, acido ialuronico e glicina.

L’istruzione e formazione del paziente, nel contesto più ampio della motivazione, consolidano i risultati di un buon trattamento professionale; a questo però vanno

ma che abbiano la capacità di sostenere il processo di guarigione dei tessuti. Il paziente diabetico in particolare, necessita di soluzioni che accelerino la fase di rigenerazione tissutale. Nell’ultimo anno ho avuto modo di sperimentare l’efficacia del collutorio Euclorina nel trattamento del paziente affetto da diabete. Clinicamente, ho riscontrato una contrazione sensibile dei tempi di risoluzione della flogosi in seguito a trattamento parodontale non chirurgico che, notoriamente, richiede tempi di guarigione dilatati nel soggetto diabetico, e un’aderenza alla terapia domiciliare elevata in ciascun paziente, grazie alla significativa riduzione del dolore in tempi brevi e alla sensazione di benessere immediata. La possibilità di poter protrarre i risciacqui con Euclorina per 30 giorni, offre al paziente e al clinico la sicurezza di un supporto benefico al trattamento ambulatoriale. Inoltre, l’assenza di pigmentazioni e ulteriori effetti collaterali garantisce un utilizzo appropriato da parte del paziente.

Bibliografia

Arkan, M. C., Hevener, A. L., Greten, F. R., Maeda, S., Li, Z. W., Long, J. M., ... & Karin, M. (2005). IKK- links inflammation to obesityinduced insulin resistance. Nature medicine, 11(2), 191-198.

Preshaw PM, Alba AL, Herrera D, Jepsen S, Konstantinidis A, Makrilakis K, Taylor R. Periodontitis and diabetes: a two-way relationship. Diabetologia. 2012 Jan;55(1):21-31. doi: 10.1007/s00125-011-2342-y. Epub 2011 Nov 6. PMID: 22057194; PMCID: PMC3228943.

Persson GR. Diabetes and periodontal disease: an update for HealthCare Providers. Diabetes Spectrum. 2011;24(4):195–8.

Löe H. Periodontal disease. The sixth complication of diabetes mellitus. Diabetes Care. 1993;16(1):329–34.

Battancs E, Gheorghita D, Nyiraty S, Lengyel C, Eördegh G, Baráth Z, et al. Periodontal disease in diabetes mellitus: A casecontrol study in smokers and non-smokers. Diabetes Ther (2020) 11:2715–28. doi: 10.1007/s13300-020-00933-8.

1 2024 prevention 43 notizie dalle aziende

IDS

Clean&White: l’igiene dentale+ per la cura della salute e bellezza del sorriso

La richiesta di uno sbiancamento dentale veloce da abbinare alla seduta d’igiene professionale nacque dal mondo degli igienisti dentali e, in particolare, da Annamaria Genovesi. Era il 2010 e BlancOne stava lanciando sul mercato il suo primo trattamento di sbiancamento dentale con tecnologia fotochimica (BlancOne ULTRA classic).

Quando un paziente va in studio per l’igiene, in qualche modo si aspetta di migliorare anche l’estetica del suo sorriso e questa attesa, salvo nei pazienti con macchie superficiali, è destinata ad essere delusa. Alla fine di una lunga seduta, un certo fastidio che talvolta diventa dolore, il paziente vede i suoi denti come prima e probabilmente le gengive sanguinanti. Non certo il massimo per aumentare la compliance di un paziente in salute e motivarlo a ripetere frequentemente la seduta d’igiene professionale.

L’esigenza fu chiara e lampante: integrare nella seduta d’igiene una “sbiancatina”, così la definì Annamaria, avrebbe radicalmente stravolto la percezione del paziente, il valore attribuito alla seduta e la sua motivazione all’igiene sia professionale che domiciliare.

Occorreva un trattamento molto veloce in modo da poter essere integrato nella seduta senza bisogno di program-

marlo in anticipo, senza richiedere l’uso di protezione gengivale che non può essere applicata su gengive sanguinanti, privo di sensibilità in modo da creare un’esperienza positiva che il paziente avrebbe voluto ripetere, in grado di dare un risultato immediatamente percepibile e naturalmente a basso costo affinché potesse essere alla portata di tutti.

Nel 2010 la sfida sembrava impossibile per la neonata tecnologia BlancOne, ma spinti anche dai limiti imposti dalla nuova direttiva Europea (84/2011) sullo sbiancamento cosmetico, nel 2016 venne presentato al mercato BlancOne CLICK il primo e a tutt’oggi l’unico trattamento in grado di soddisfare tutti i requisiti ideali per uno sbiancamento post igiene.

Tra BlancOne CLICK e l’igiene dentale fu amore a prima vista. Un sondaggio, svolto da Keystone nel 2020 presso 700 tra dentisti e igienisti, sottolinea la portata della rivoluzione prodotta da BlancOne CLICK: grazie all’abbinata igiene e sbiancamento CLICK, l’80% degli intervistati ha aumentato i propri ricavi legati allo sbiancamento, il 95% ha registrato un aumento della compliance all’igiene dentale e della fidelizzazione dei pazienti, mentre il 92% degli utilizzatori si è dichiarato soddisfatto e lo raccomanda ai colleghi.

BlancOne CLICK non ha solo rivoluzionato l’igiene dentale, ma l’intero mercato dello sbiancamento dentale. Secondo uno studio AIO del 2016, a fronte di 120.000 trattamenti di sbiancamento professionale per un fatturato di 30 milioni di euro, oltre il 50% degli italiani acquistava ogni anno prodotti per lo sbiancamento dentale fai da te, sviluppando un business di oltre un miliardo di euro. La matematica è abbastanza semplice, il professionista dentale intercettava solo lo 0,3% della spesa degli italiani per un sorriso più bianco.

Dal 2016 le cose sono cambiate: BlancOne CLICK ha creato un nuovo segmento di mercato, lo sbiancamento veloce in studio, che ha affiancato i classici sbiancamenti intensivi alla poltrona e quelli domiciliari.

Il connubio fra igiene dentale e uno sbiancamento veloce

1 2024 prevention 44 notizie dalle aziende

ha abbassato notevolmente la soglia d’ingresso ai trattamenti di sbiancamento e all’estetica dentale, rendendo facile e conveniente per il paziente avvicinarsi a questo aspetto molto ricercato della cura del proprio sorriso.

Ogni anno vengono svolti in Italia 200.000 trattamenti BlancOne CLICK che sono diventati parte integrante della seduta di igiene per molti pazienti e un primo approccio allo sbiancamento per tanti altri che spesso poi decidono di eseguire trattamenti più intensivi, anch’essi cresciuti notevolmente in questi ultimi anni. Oggi il numero di trattamenti di sbiancamento professionale risulta triplicato rispetto al 2016.

Il programma Clean&White, messo a punto da BlancOne, vuole chiudere il cerchio abbinando allo sbiancamento dentale i più avanzati protocolli e strumenti per l’igiene professionale oggi disponibili sul mercato.

L’obiettivo è quello di portare, in modo semplice, spontaneo, immediato e conveniente tantissimi pazienti dello studio verso un’igiene dentale+, una seduta veloce, confortevole e gratificante che diventa un regolare percorso per la salute e la bellezza del sorriso.

La nuova linea BlancOne Clean&White per l’igiene dentale include:

• Reveal PRO - pratici tamponi precaricati con rilevatore di placca a due toni.

• OxyGel - il gel parodontale per ammorbidire tartaro, dissolvere il biofilm e decontaminare le tasche.

• Xpower - il dispositivo definitivo per l’igiene dentale professionale che combina manipoli a getto d’aria per la rimozione del biofilm con un’ablazione delicata del tartaro; corredato da un’ampia gamma di punte e polveri supra e sub gengivali.

• Water Jet Tabs - l’additivo al fluoro e gusto menta per l’acqua del dispositivo.

• BlancOne CLICK - il trattamento sbiancante ad attiva-

notizie dalle aziende

zione fotochimica, veloce e senza sensibilità.

• BlancOne ARCUS - lampada per attivazione fotochimica.

BlancOne Clean&White è una soluzione innovativa ed evolutiva dell’igiene professionale verso un percorso irrinunciabile per raggiungere e mantenere la salute e la bellezza di un sorriso radioso.

BlancOne Clean&White promuove la salute orale e posiziona lo sbiancamento delicato dei denti come un’estensione naturale della seduta d’igiene dentale, trasformandola in un’esperienza piacevole coronata da un sorriso smagliante.

teggiamento dei pazienti nei confronti di programmi regolari di igiene e sbiancamento. I pazienti soddisfatti (grado di soddisfazione 4.5 su 5 su oltre 2.000 pazienti), tenderanno a fare passaparola positivo facendo aumentare il flusso di nuovi pazienti ed estendendo le opportunità di sbiancamento dei denti a un pubblico più ampio.

Clean&White diventa il catalizzatore per la crescita dell’odontoiatria estetica incoraggiando l’upselling verso trattamenti intensivi e prodotti di mantenimento, conservativa ed ortodonzia estetica.

Preparati a un punto di svolta che ridefinirà il mercato dello sbiancamento dei denti e dell’igiene. BlancOne Clean&White è pronto a diventare pioniere del futuro della prevenzione e cosmesi dentale.

Per maggiori informazioni www.cleanwhitepro.eu.

IDS Spa

Via Valletta San Cristoforo 28/10 17100 Savona SV www.cleanwhitepro.eu

-
1 2024 prevention 45

Fitomedical

LINEA PURAL: cinque validi alleati per una bocca sana e un bel sorriso

Cinque efficaci prodotti completamente naturali per tutelare e promuovere il benessere del cavo orale: Pural è la linea Fitomedical dedicata al benessere di bocca, denti e gengive.

La linea è articolata in quattro formulazioni per l’igiene quotidiana completa della bocca - collutorio, spray, dentifricio, chewing gum - ed è completata da un prodotto unico nel suo genere: Pural Parodont, un integratore che agisce per via sistemica dall’interno, per contrastare le più comuni condizioni infiammatorie e infettive del cavo orale, come parodontopatie, afte, glossiti o stomatiti.

Tutte le formule Pural vantano componenti naturali di alta qualità e comprovata efficacia, tra cui Propoli, essenze ed estratti di Salvia e Piantaggine. L’intera linea è inoltre connotata dalla presenza di un pregiatissimo ingrediente, apprezzato fin dall’antichità per i suoi effetti benefici su bocca e gengive: il Lentisco (Pistacia lentiscus), utilizzato in forma di oleoresina (nota come mastic) e di essenza.

Parodont protettivo - integratore alimentare

Aiuta a mantenere l’equilibrio e il trofismo fisiologico delle mucose orali e dei connettivi delle gengive e stimola le difese dell’organismo nei confronti dei batteri che formano la placca e che attaccano lo smalto dei denti. Contrasta la malattia parodontale e le più comuni affezioni del cavo orale. La sua formulazione prevede estratti dalle comprovate qualità antisettiche, antinfiammatorie e immunomodulanti: Propoli dall’azione antimicrobica, Echinacea dall’attività cicatrizzante, Uncaria tomentosa efficace contro le infiammazioni più aggressive e croniche come afte o Herpes virus, Ribes nero e resina di Lentisco (si consiglia di assumere 30 gocce 3 volte al giorno).

Un rimedio che attraversa i secoli

Collutorio lenitivo

Con essenza di Lentisco, è idoneo a mantenere la salute dell’intero cavo orale: tonifica le gengive, lenisce le irritazioni, protegge dalla placca e stimola la cicatrizzazione delle mucose.

La formulazione associa la Propoli - dalle comprovate attività antisettiche - agli estratti di Piantaggine e Salvia, segnalate dalla ricerca scientifica moderna per la loro capacità di proteggere lo smalto dentale dall’aggressione dei batteri e favorire la riepitelizzazione delle mucose. Completano la formula pregiate essenze che garantiscono un’ulteriore barriera antibatterica e un alito fresco a lungo. Studi clinici recenti, condotti da un gruppo di ricercatori dell’Università di Ancona e pubblicati su Riviste Scientifiche di Settore, hanno dimostrato l’eccezionale efficacia del Collutorio Pural come antinfiammatorio e nella riduzione del sanguinamento gengivale (si consiglia di utilizzarlo diluito – 3/5 ml in poca acqua – o puro nei casi di maggior infiammazione. Disponibile anche in formato da Studio).

Dentifricio antiplacca omeocompatibile

È indicato per difendere efficacemente lo smalto dentale dai batteri responsabili di placca e carie. Inoltre, contrasta l’indebolimento delle gengive grazie alla polvere micronizzata di Equiseto e agli estratti di Salvia. La formula è arricchita da oli essenziali che assicurano un alito fresco e favoriscono il riequilibrio della flora batterica orale. Non contiene fluoro ed è privo di menta: risulta quindi

Il mastic di lentisco è usato da secoli come masticatorio per fortificare le gengive, sbiancare i denti e purificare l’alito con le sue note balsamiche.

Studi e review moderni segnalano che l’applicazione locale di olio essenziale di Lentisco e di mastic riducono fino al 41.5% la placca batterica dentale, anche in pazienti con apparecchi ortodontici fissi. Infatti il mastic esplica un’attività chemotattica, richiamando in superficie i leucociti normalmente localizzati nella tasca gengivale. Favorisce così l’eliminazione di buona parte dei batteri nocivi, responsabili non solo del danneggiamento di denti e gengive, ma anche dell’alitosi.

1 2024 prevention 46 notizie dalle aziende

compatibile con le terapie omeopatiche. È prodotto solo con materie prime di derivazione vegetale, in conformità con gli standard europei che regolano la produzione di cosmetici bio-eco-compatibili.

Spray purificante e Chewing gum igienizzante

Quando non è possibile utilizzare dentifricio e spazzolino, garantiscono in qualsiasi momento freschezza e protezione naturale.

Particolarmente pratici e dal gradevole e duraturo sapore di resine mediterranee, le loro formulazioni garantiscono un’azione antisettica e antinfiammatoria. Nel chewing gum, i dolcificanti cariogeni sono sostituiti dallo xilitolo, che contrasta anche la formazione della placca.

Fitomedical S.r.l.

Via N. Copernico 5/7, 20082 Binasco (MI) www.fitomedical.com

notizie dalle aziende starbeneènaturale FITOMEDICAL linea PUR AL igiene e protezione orale con Lentisco disponibili anche in formato da “Studio” Scoprilo qui Parodont, Collutorio, Dentifricio, Spray e Chewinggum Studiataperlasaluteel’igienedelcavoorale,la lineaPural valorizzaleproprietà degliestrattinaturaliedellaresinadiLentisco,unarbustodellafloramediterranea notofindall’antichitàcomeprotettoredellosmaltodentale,fortificantedelle gengiveepurificantedell’alito i n fo @ fi t o m e d i c a l c o m w w w fi t o m e d i c a l c o m per un bel Sorriso
buoni Motivi
Cinque

«Pierrel

Management dello studio odontoiatrico: come fidelizzare i pazienti offrendo un servizio fondamentale per la prevenzione delle patologie orali

La salute orale è una parte essenziale dell’assistenza sanitaria. Molte delle nostre funzioni umane più basilari come parlare e comunicare, mangiare, respirare e, non da ultimo, sorridere, dipendono da una buona salute orale», ha affermato il dott. Hans Henri P. Kluge, direttore regionale dell'OMS per l’Europa.

Nonostante ciò, i dati sul tumore del cavo orale sono in crescente aumento: è infatti una patologia molto diffusa ma poco conosciuta. Il cancro della bocca è stato classificato come il sesto tumore maligno al mondo dall’Oral Cancer Foundation, con più di 500.000 nuovi casi ogni anno, mentre la WHO stima che nel 2040 i nuovi casi raggiungeranno 1 milione.

Secondo L’AIRC (marzo 2023) in Italia vengono diagnosticati circa 4.000 casi di tumori alla bocca ogni anno, l’incidenza è pari a 7 casi ogni 100.000 abitanti con un tasso di sopravvivenza del 50% a cinque anni dalla diagnosi, perché spesso è diagnosticato in uno stadio troppo avanzato. Le motivazioni sono legate al fatto che nella maggior parte dei casi, nelle fasi iniziali il cancro orale non provoca sintomi: talvolta invece si manifesta con una area di bruciore o dolore persistente e non è perfettamente visibile a occhio nudo.

Il riconoscimento precoce del tumore del cavo orale è il passo più importante per ridurre il tasso di mortalità: quando è diagnosticato al primo stadio, i pazienti hanno oltre il 90% del tasso di sopravvivenza. Il ruolo dell’odontoiatra e dell’igienista dentale sono fondamentali nella prevenzione della malattia e nella sua intercettazione iniziale; in ogni studio odontoiatrico si potrebbero effettuare di routine degli screening del cavo orale.

Per supportare l’odontoiatra in questa fondamentale attività, l’équipe dell’Unità Operativa di Chirurgia Maxillo-facciale del Complesso Integrato Columbus – Università Cattolica del Sacro Cuore – ha ideato gli occhiali Goccles, il cui brevetto è stato poi sviluppato ed industrializzato da Pierrel.

Goccles (Glasses for Oral Cancer Curing Light Exposed Screening) è un dispositivo medico che consente di eseguire un esame rapido, non invasivo e non doloroso, del cavo orale grazie all’autofluorescenza. Questa tecnica permette uno screening in solo un minuto della superficie interna della mucosa orale e fornisce un supporto accurato per la rilevazione precoce di displasie e lesioni potenzialmente maligne. Spiega afferma Fabio Velotti, CDO di Pierrel: «Gli occhiali Goccles, funzionano sfruttando la luce delle lampade fotopolimerizzanti presenti in ogni studio dentistico, le quali emettendo una luce compresa in un intervallo di lunghezze d’onda da circa 400 a 500 nanometri (nm), provocando il fenomeno dell’autofluorescenza sulla mucosa del cavo orale. Il filtro ottico degli occhiali Goccles permette di individuare in pochi

1 2024 prevention 48 notizie dalle aziende

secondi la riduzione di autofluorescenza provocata dalle cellule tumorali o displasiche, permettendo di evidenziare i tessuti malati o in procinto di ammalarsi. Questa tecnica consente di individuare le lesioni cancerose del cavo orale in uno stadio molto precoce, consentendo di evitare al paziente di sottoporsi a interventi mutilanti e in molti casi di salvargli la vita, evitando che le cellule tumorali attacchino altri organi».

Goccles può essere utilizzato dopo ogni visita di con-

trollo e di igiene orale: in soli 60 secondi si può fare la differenza nel salvare la vita di un paziente, facendogli percepire la cura e l’attenzione per la sua salute e fidelizzandolo allo studio odontoiatrico.

Pierrel S.p.A.

Strada Statale Appia 7bis, 46/48 81043 Capua (CE) www.pierrelgroup.com

1 2024 prevention 49 notizie dalle aziende

prevention

international magazine for oral health

prevention Italian Edition, anno 6, vol. 1

Supplemento n. 1 di Dental Tribune Italian Edition, anno XX n. 2

Publisher and Chief Executive Officer

Torsten R. Oemus

Chief Content Officer

Claudia Duschek

International headquarters Dental Tribune International GmbH

Holbeinstr. 29, 04229 Leipzig, Germany

Tel.: +49 341 48 474 302

Fax: +49 341 48 474 173 www.dental-tribune.com

General requests info@dental-tribune.com

Sales requests mediasales@dental-tribune.com

Redazione italiana Tueor Servizi srl redazione@tueorservizi.it

Pubblicità

Alessia Murari alessia.murari@tueorservizi.it

Contributi

M. Angileri, F. Beier, A. Bernardi, S. Cosola, P. Gatto, A. Genovesi, G. Gola, G. Oldoini, S. Pelle, F. Polo, I. Ramonaite, M. von Geijer.

Stampa

Löhnert Druck

Handelsstraße 12

04420 Markranstädt, Germany

All rights reserved. © 2024 Dental Tribune International GmbH. Reproduction in any manner in any language, in whole or in part, without the prior written permission of Dental Tribune International GmbH is expressly prohibited.

Dental Tribune International GmbH makes every effort to report clinical information and manufacturers’ product news accurately but cannot assume responsibility for the validity of product claims or for typographical errors. The publisher also does not assume responsibility for product names, claims or statements made by advertisers. Opinions expressed by authors are their own and may not reflect those of Dental Tribune International GmbH

Copyright Regulations

prevention international magazine for oral health

ITALIAN EDITION è una pubblicazione a periodicità semestrale di Dental Tribune International. Rivista, immagini e articoli pubblicati sono protetti dal copyright. È quindi proibito qualunque tipo di utilizzo senza previa autorizzazione dell’Editore, soprattutto per quanto concerne duplicati, traduzioni, microfilm e archiviazione su sistemi elettronici. Le riproduzioni, compresi eventuali estratti, possono essere eseguite soltanto con il consenso dell’Editore. In mancanza di dichiarazione contraria, qualunque articolo sottoposto all’approvazione della Redazione presuppone la tacita conferma alla pubblicazione totale o parziale. La Redazione si riserva la facoltà di apportare modifiche, se necessario. Non si assume responsabilità in merito a libri o manoscritti non citati. Gli articoli non a firma della Redazione rappresentano esclusivamente l’opinione dell’Autore, che può non corrispondere a quella dell’Editore. La Redazione non risponde inoltre degli annunci a carattere pubblicitario o equiparati e non assume responsabilità per quanto riguarda informazioni commerciali inerenti associazioni, aziende e mercati e per le conseguenze derivanti da informazioni erronee. Per la foto di copertina: © IDS.

Norme editoriali

Alla redazione devono pervenire:

_ testo dell’articolo in formato Word

_ iconografia a supporto del testo

_ bibliografia

_ breve curriculum e foto dell’autore, indicazioni per il contatto (indirizzo postale, e-mail, ecc.)

Immagini, tabelle, diagrammi, fotografie ecc., non devono essere incorporate nel documento Word, ma salvate su un file separato, con le indicazioni di riferimento nel testo e le relative didascalie.

Lunghezza del testo

Può variare in base all’argomento trattato. Vi chiediamo quindi di redigere un testo che sia appropriato per approfondire l’argomento in oggetto in tutte le sue parti. In caso di testi particolarmente lunghi, è possibile prevederne la pubblicazione in più parti. In sostanza, non vogliamo porre limiti specifici per quanto riguarda la lunghezza dell’articolo e siamo a vostra disposizione per fornirvi ulteriori informazioni in merito.

Formattazione del testo

Per la stesura usare interlinea singola e paragrafi non giustificati, inserendo una riga vuota tra un paragrafo e l’altro.

Non utilizzare formattazioni particolari, oltre al corsivo e al grassetto, e assicurarsi che tutto il testo sia allineato a sinistra.

Se desiderate enfatizzare alcune parole, usate solamente il corsivo (non utilizzare sottolineature o caratteri più grandi).

Il grassetto è riservato ai titoli e sottotitoli dell’articolo.

Vi chiediamo di non “centrare” il testo nella pagina, aggiungere tabulazioni o sottolineature, perché tutto questo verrà rimosso in fase di impaginazione.

Se dovete inserire un elenco, aggiungere note a piè di pagina o note finali, vi preghiamo di usufruire degli appositi comandi automatici di Word e di non agire in modo manuale.

In ogni programma ci sono dei menu che vi aiuteranno nell’esecuzione di quanto sopra.

Requisiti delle immagini

Numerare le immagini all’interno del testo in modo consecutivo, usando un nuovo numero per ogni immagine. Qualora fosse indispensabile raggruppare alcune fotografie, vi preghiamo di usare lettere minuscole per designare le immagini di un gruppo (per esempio, 2a, 2b, 2c).

Per cortesia inserire i riferimenti delle immagini, laddove necessari, indipendentemente che ci si trovi a metà di una frase o alla fine di essa. Il riferimento deve essere sempre inserito tra parentesi.

Caratteristiche delle immagini:

_ Formato TIF o JPEG.

_ Non devono essere più piccole di 6x6 cm a 300 dpi.

_ Non devono essere più piccole di 80 kB, altrimenti non sarà possibile stamparle nelle dimensioni adeguate.

In linea generale, i file delle immagini devono essere il più grande possibile, in modo da dare la massima resa di impaginazione e stampa.

Vi preghiamo inoltre di ricordare di non inserire le immagini nel testo, ma di inviarle in file separati.

Le immagini possono essere inviate per e-mail in file compressi.

Abstract Non è necessario l’invio di un abstract del vostro articolo. Nel caso lo vogliate comunque inviare, lo pubblicheremo in un box specifico.

Informazioni per il contatto

Alla fine di ogni articolo vi è un box che contiene tutte le informazioni necessarie per contattare l’autore, nonché una sua foto e un breve curriculum, oltre che l’affiliazione in caso di autori afferenti a istituzioni accademiche.

Vi chiediamo quindi di inviarci anche questo materiale in modo che possa essere inserito a corredo del vostro articolo.

Per maggiori informazioni e invio articoli contattare: Redazione redazione@tueorservizi.it

l’editore
50 1 2024 prevention

Turn static files into dynamic content formats.

Create a flipbook
Issuu converts static files into: digital portfolios, online yearbooks, online catalogs, digital photo albums and more. Sign up and create your flipbook.