Nivelposti 2/2024.

Page 1


TURUN SEUDUN NIVELYHDISTYS RY:N JÄSENLEHTI - ÅBONEJDENS ARTROSFÖRENING RF:S MEDLEMSTIDNING

Turun Seudun Nivelyhdistys ry (TSNY)

Åbonejdens Artrosförening rf (ÅNAF)

Lonttistentie 9 B 15, 20100 Turku (Käynti Helsinginkadun puolelta)

Puh. 040 351 3833 toimisto@nivelposti.fi www.nivelposti.fi www.nivelverkko.fi www.facebook.com/ turunseudunnivelyhdistys www.instagram.com/nivelturku

Aukioloajat elo-joulukuussa

Ma-to 10-13 sekä maanantait 2.9., 7.10., 4.11 klo 16-18

Joulutauko 20.12.-1.1.

Aukioloajat koskevat käyntejä toimistolla sekä puhelinsoittoja. Palvelemme aukioloaikojen ulkopuolella mahdollisuuksien mukaan.

Jäsenasiat, laskutus ja retket

Puh. 040 351 3833 toimisto@nivelposti.fi

Palvelukoordinaattori, liikunta-asiat, ruotsinkielinen toiminta

Hanna Okodugha Puh. 050 575 0613 hanna.okodugha@nivelposti.fi

Toimintakoordinaattori

Lehmusvalkaman toiminta

Anne Rokka Puh. 045 787 01516 anne.rokka@nivelposti.fi

Toiminnanjohtaja

Annukka Helander

Puh. 045 613 1500 annukka.helander@nivelposti.fi

Vapaaehtoistyön koordinaattori

Kaisa Karvonen Puh. 045 234 3435 kaisa.karvonen@nivelposti.fi

Nivelposti-lehti ja luennot: tiedotus@nivelposti.fi

Vertaispuhelin

Puh. 050 593 9003

Hallitus 2024

Hallituksen jäsenten yhteystiedot saa yhdistyksen toimistolta.

Puheenjohtaja

Sinikka Leino

Muut jäsenet

Tuija Kallio

Pekka Ketola

Kristiina Laakso

Liisa Purho

Marjo Suominen

Matti Vainikainen

Asiantuntijalääkärit

Ylilääkäri, dosentti

Ville Äärimaa, Tyks Tules-toimialue

Pankkitiedot

FI49 4309 1520 1654 06

OmaSP

BIC: ITELFIHH

Otamme vastaan kannatusmaksuja jäseniltämme

Toimintaa rahoitetaan sosiaali- ja terveysministeriön järjestöavustuksilla.

Nivelposti

Turun Seudun

2/2024 ISSN 1798-3975 • ISSN-L 1798-3975 • ISSN 2341-6815 (verkkojulkaisu)

Julkaisija: Turun Seudun Nivelyhdistys ry

Lonttistentie 9 B 15, 20100 Turku www.nivelposti.fi

Päätoimittaja: Eeva Himmanen

Toimitussihteeri: Annukka Helander

Toimituskunta: Pekka Aava, Kim Fredriksson, Marjatta Kannisto, Minna Laine, Matti Vainikainen ja Tuula Vainikainen.

Asiantuntijat: Lääkäri Helmi-Riitta Toivari, kielenhuolto Eeva Silvennoinen.

Ilmoitusmyynti: Jaana Martiskainen, TJM-Systems Oy p. 044 566 7195, jaana.martiskainen@tjm-systems.fi

Kannen kuva: Kim Fredriksson: Nivelyhdistyksen vapaaehtoistyöntekijöitä Turun kauppatorilla

Osoitteenmuutokset: toimisto@nivelposti.fi, p. 040 351 3833.

Painos: 3 000 kpl

Jakelu: Jäsenet, lähiseudun terveydenhuollon toimipisteet, yhteistyökumppanit

Ilmestymisajat: Tammikuu ja elokuu

Sähköinen näköislehti: www.nivelposti.fi/nivelposti

Ilmoitukset: Seuraavan lehden (1/2025) aineistojen toimitus 1.12.2024 mennessä osoitteeseen: tiedotus@nivelposti.fi

Kuvat: Yhdistyksen kuva-arkisto ja kuvapankit, ellei toisin mainita

Taitto: Annukka Helander

Paino: Suomen Uusiokuori Oy

Nivelyhdistys ry:n jäsenlehti
ÅBONEJDENS ARTROSFÖRENING RF

Tässä numerossa

2 Yhteystiedot

3 Tässä numerossa

4 Päätoimittajalta

4 Toiminnanjohtajalta

5 Nivelverkko-luennot syksyllä 2024 ja muita ilmoituksia

6 Yhdistys tiedottaa

7 Kärry ja kävelysauvat - matkalla mukavasti

8 Olkapään kuluma - jumppaa vai tekonivel ratkaisuksi?

10 Kiertäjäkalvosinvaivaan apua harjoitteilla

12 Päiväkirurgiasta apu pidentyneisiin leikkausjonoihin

13 Kokemuksia päiväkirurgisesta leikkauksesta

Tyks Ortossa

15 Nivelrikkoa hoidetaan ensisijaisesti lääkkeettömästi

16 Vasaravarpaat - syyt, ennaltaehkäisy ja hoito

18 Tapahtumakalenteri

21 Liikuntakalenteri

22 Huolehdi luomistasi

23 Esteettömyys ja asumisen ennakointi

24 Apuvälineitä luonnossa liikkujalle

25 Kirjanurkka

26 Nivelrikko, elämänlaatu ja psyykkinen hyvinvointi

27 Kokemuksellinen, positiivinen vanheneminen

28 Voiko kuntosaliharjoittelusta olla haittaa?

29 Polven tarina

30 Arkeen voimaa - pienin askelin kohti parempaa arkea

31 Niveltonttu Apuvälinetontun pakeilla

32 Niveltontun runosivu

33 Kevään tapahtumia

35 Jäsenedut

Avoimien ovien päivä

torstaina 10.10.

Sippe-kutsut, aiheena mielen hyvinvointi.

Sippe-kutsuilla pieni seniorien ryhmä kokoontuu kahvin äärelle keskustelemaan ja jakamaan vinkkejä jostain hyvinvoinnin teemasta. Keskustelua innostamassa ja virittelemässä on koulutettu Sippe-vapaaehtoinen.

11:3012:30

Kahvitarjoilu!

Relaxionin alaraajaongelmien klinikka Alaraajafysioterapeutti, urheilufysioterapeutti (sert.) Samu Kaukoranta tekee alaraajaongelmien konsultaatiota. 15 minuutin vastaanotto on maksuton. Varaa aikasi ennakkoon puh. 040 351 3833 tai toimisto@nivelposti.fi 13:0017:00

Medishopin terveysjalkineet

Fysioterapeutti Henna Vähä-Hakula Medishopista kertoo jalkineiden vaikutuksista ja hyödyistä. Esittelyssä sveitsiläisiä Kybun- ja Joya-terveysjalkineita, jotka ovat nivel- ja selkäystävällisiä niiden joustavan pohjarakenteen vuoksi. Jalkineiden elastinen ja kimmoisa pohja jakaa painon tasaisesti koko jalkapohjalle ja antaa jalkaterälle mahdollisuuden liikkua ja toimia täysin vapaasti. Tämä suojaa niveliä, vahvistaa lihaksia ja parantaa ryhtiä. Askelluksesta tulee luonnollista, rullaavaa ja koko kehoa aktivoivaa. Jalkineet ovat erityisen hyvät kovalla alustalla, kuten asfaltilla kävelyyn.

Vanhustenviikkoa vietetään 6.-13.10.2024. Tämän vuoden teema on Tehdään arjesta juhla! vietetään on

Yhdistyksen sääntömääräinen

Syyskokous

Torstaina 28.11. klo 17.00 Yhdistyksen toimitilassa, Lonttistentie 9 B 15

Esillä sääntömääräiset asiat Kahvitarjoilu

Etäyhteysmahdollisuus ilmoittautumalla viim 26 11 toimisto@nivelposti fi

Etäosallistujilla ei ole äänioikeutta kokouksessa ( Yhdistyslaki 17 § )

Tervetuloa! Hallitus

Päätoimittajalta

Tätä kirjoittaessa muistelen edellistä lehteämme, johon kirjoitin matkakertomuksen pyöräreissusta Saksassa. Jutun johdosta eräs jäsenemme otti yhteyttä toimistoon ja toivoi saavansa kuulla aiheesta lisää. Niinpä järjestimme toukokuussa pyöräilyillan, jossa kerroimme pyöräilytoverini Leenan kanssa enemmän matkastamme. Toiminnanjohtaja Annukka puolestaan kertoi Suomen pyöräreiteistä ja lisäksi hän jakoi hyvää tietoa tarvittavista varusteista. Uskon, että ainakin muutama kuulija innostui oman matkan järjestämisestä. Kannattaa antaa palautetta lehdestä kuten muustakin toiminnasta, yhdistyksemme henkilökunta kuuntelee herkällä korvalla teidän kommenttejanne. Omat kertomukset sairauksista, sairaalasta ja kuntoutuksesta ovat aina kiinnostavia. Tässä lehdessä Erkki Matilainen kertoo omasta kokemuksestaan polven yllättävästä uusintaleikkauksesta. Jos haluat jakaa kokemuksiasi, niin kerromme niistä Nivelpostissa mielellämme. Kokemuksia jakamalla voit auttaa kohtalotovereitasi.

Tässä lehdessä kerromme päiväkirurgisista ortopedisistä leikkauksista sekä kahden leikkauksessa olleen kokemuksista niistä. Syyskuussa saamme vieraaksemme endoproteesihoitaja Hanna Metsämäen ja fysioterapeutti Lotta Holmin Tyks Ortosta. Jos päiväkirurginen toimenpide herättää kiinnostusta, kannattaa ehdottomasti tulla mukaan kuulemaan ja kysymään aiheesta lisää!

Yhdistyksen syksyssä on tiedossa mukavaa toimintaa, retkiä, teatteria ja risteily. Lue näistä tarkemmin keskiaukeamalta, ja ilmoittaudu mukaan!

Nautitaan syksystä ja osallistutaan yhdistyksemme toimintaan aktiivisesti, Eeva Himmanen

Toiminnanjohtajalta

Yksi yhdistyksemme toiminnan vahvuuksista on osallistujien kuunteleminen. Kuluneena keväänä järjestimme Marjon tekonivelen 20-vuotisjuhlat sekä pyöräilyn infoillan meille ilmaistujen toiveiden mukaan. Myös toukokuisen Pärnun matkan toteutimme jäsentoiveen ansiosta. Tapahtumat onnistuivat mitä parhaimmin!

Mielestäni yhdistystoiminnan arvokas ydin on siinä, että se voi muotoutua osallistujiensa näköiseksi. Silloin jäsenet ja toimintaan osallistuvat voivat aidosti kokea yhdistyksen omakseen.

Yhdistyksemme jäsenmäärä kipuaa kohti kahtatuhatta. Viime vuonna rikottiin myös 10 000 liikuntasuoritteen raja vaikeiden koronavuosien jälkeen. Liikuntaryhmät täyttyivät hyvin, mutta vipinää oli myös muissa tapahtumissamme. Syksyllä aloittaa useita uusia liikuntaryhmiä. Lisäksi tarjoamme kivoja retkiä sekä tärkeää vertaistoimintaa ja luentoja.

Kaiken hyvän ohella kevät oli myös vaikeiden asioiden aikaa. Turussa Ruusukorttelin ja Lehmusvalkaman toiminta päättyi, mutta onneksi yhdistyksiä haettiin mukaan uudenlaisen toiminnan järjestämiseen! Meillä aloitti Lehmusvalkaman toiminnan osa-aikaisena koordinaattorina Anne Rokka. Työparinaan hänellä on Kotikunnaan Anni Niemi

Vaikea asia on myös valtionavustusten uutisoidut tulevat leikkaukset. Olemme saaneet STEAn toiminta-avustusta nyt seitsemän vuoden ajan. Kohtalaisen pienellä avustuksella olemme saaneet paljon hyvää aikaiseksi. Vapaaehtoistyön merkitys avustetun toiminnan järjestämisessä on merkittävä eikä näin laaja toiminta olisi ilman heitä mahdollista. Samalla vapaaehtoistyö on myös sen tekijöille merkityksellistä. Toivotaan päättäjille viisautta säästää paikallistason toiminta leikkauksilta!

Kaikesta epävarmuudesta ja muutoksista huolimatta katsomme luottavaisina tulevaisuuteen. Tervetuloa osallistumaan ja vaikuttamaan yhdistyksen toimintaan!

Annukka Helander

Annukka Helander, Rolf Tikkanen, Aapo Koivusalo ja Kaisa Karvonen retkellä kesäisessä Ruissalossa.
Eeva Himmanen kauppatorilla.

Syksyn 2024 Nivelverkko -luennot

10.10.2024 klo 17:30 Yleislääketieteen ja geriatrian erikoislääkäri Sirkka- Liisa Kivelä Positiivinen vanheneminen

Turun ammattikorkeakoulun tila A173, Lemminkäisenkatu 30, Turku

6.11.2024 klo 18:00 Ravitsemustieteen dosentti Hanna Lagström Syödäkö vaiko eikö syödä?

Tyks T-sairaalan Risto Lahesmaa -sali, Hämeentie 11, Turku Yhdistykset esittelevät toimintaansa ennen luentoa klo 17.30 alkaen

Luennon järjestävät yhteistyössä Turun Seudun Luustoyhdistys, Turun Seudun Nivelyhdistys, Turun Seudun Selkäyhdistys, Turun seudun Reumayhdistys ja TULE-tietokeskus.

19.11.2024 klo 18:0 Ortopedian ja traumatologian erikoislääkäri Tuuli Erjanti Jalkaterän nivelrikko

Turun pääkirjaston Studio-sali, Linnankatu 2, Turku

26.11.2024 klo 18:00 Fysioterapeutti, terveystieteiden maisteri Taina Vahtera Minä, rennosti tasapainossa Kaarina-sali, Lautakunnankatu 1, Kaarina

Luennolla käsitellään aihetta mitä tasapaino on?

Luvassa on myös käytännönharjoitteita oman tasapainon kehittämiseen.

Luennot taltioidaan sivustolle

Nivelyhdistyksen

syysristeily 7.-8.10.

Lähtö ma 7.10. klo 20.55

Paluu ti 8.10. klo 19.50

Laivana M/S Viking Grace

Hyttiluokat

Premium:

1 hlö hytissä: 237 €

2 hlö hytissä: 150 €

Seaside Four:

1 hlö hytissä: 131 €

2 hlö hytissä: 105 €

Seaside handicap: 1 hlö hytissä: 131 € 2 hlö hytissä: 105 €

Inside Handicap:

1 hlö hytissä: 121 €

2 hlö hytissä: 100 €

Muille kuin jäsenille hintoihin lisätään 20 €.

Hinta sisältää: risteilyn valitussa hyttiluokassa, meriaamiainen (premium-hyteissä premiumaamiainen), päiväkahvit ja hedelmät, yhteistä ohjelmaa kokoustilassa klo 10.30-14.30, buffet-päivällisen (sis. juomat) klo 15.00.

Ilmoittaudu viimeistään 3.9. toimistolle, toimisto@nivelposti.fi tai puh. 040 351 3833.

Huom! Eri hyttejä on rajallinen määrä ja ne täytetään ilmoittautumisjärjestyksessä.

Liity Turun Seudun Nivelyhdistyksen jäseneksi

• Täyttämällä tämän lomakkeen ja toimittamalla sen meille: Turun Seudun Nivelyhdistys ry, Lonttistentie 9 B 15, 20100 Turku.

• Yhdistyksen internetsivuilla www.nivelposti.fi/liity-jaseneksi

Jäsenmaksu on 28 €/vuosi.

Saat laskun postitse muun jäsenmateriaalin ohessa.

*Nimi:_________________________________________

*Katuosoite:____________________________________

*Postinumero ja -toimipaikka:_______________________

*Puhelin:________________________________________

Sähköposti:______________________________________

Syntymäaika:____________________________________

Oireileva nivel:___________________________________

Sukupuoli: □ Nainen □ Mies □ Muu □ En halua kertoa

Äidinkieli: □ Suomi □ Ruotsi □ Muu

□ Haluan sähköisen jäsenkortin ja kaikki laskut sähköpostitse.

□ Jag vill ha artrosbroschyren på svenska.

□ Haluan nivelrikko-esitteen suomen kielellä.

□ Haluan uusimman Nivelposti-lehden.

* □ Hyväksyn ylläolevien tietojen rekisteröinnin jäsenrekisteriin.

YHDISTYStiedottaa

Uusi allasjumpparyhmä Naantalissa ja pilates-ryhmä Runosmäen Riimissä

Allasjumppa Naantalin Aurinkosäätiön tiloissa, Myllykiventie 5, Naantali. Ohjaaja Ella Lehto. Alkaen tiistaina 3.9. klo 13.50-14.35 sekä klo klo 14.45-15.30.

Syyslomaviikolla ei jumppia. Tilavaraus on saatu jouluun asti, eikä ryhmien jatkumisesta keväällä ei ole vielä varmuutta.

Pilates-ryhmä Runosmäen Riimissä, Stoltinkatu 9, Turku. Ohjaaja Ella Lehto.

Tiistaisin klo 17.00-17.45. Ryhmä alkaa viikkoa myöhemmin kuin muut ryhmät 10.9. Ryhmä päättyy 10.12.

Syyslomaviikolla ei jumppia.

Myös Lehmusvalkamaan ollaan käynnistämässä uusia allasryhmiä.

Ilmoittautumiset ja tiedustelut toimistolle.

Muutoksia liikuntamaksuihin

Liikuntatoimintaamme kohdistuvien avustusten vuoksi olemme luopuneeet syyskauden alusta alkaen erillisistä liikuntamaksuista muille kuin omille tai kumppaniyhdistysten jäsenille. Aikaisemmin tämä maksu on ollut ryhmäkohtaisesti 20 euroa /kausi.

Osallistumismaksut ovat siis kaikille samansuuruiset. Liikuntaryhmät laskutetaan kausimaksuina.

Kertaa kohden Turun allasjumpat maksavat 7,30 € ja 5,30 € ja Raision 5 €.

Muiden ohjattujen liikuntaryhmien maksut ovat 5-6 €/kerta.

Mikäli avustukset jatkuvat kuten tällä hetkellä voidaan käytäntöä jatkaa vuonna 2025.

Tilaa Nivelposti-lehti

Lehti postitetaan yhdistyksen jäsenille kaksi kertaa vuodessa. Lisäksi lehden voi tilata 14 euron hintaan. Ammattilaiset voivat tilata lehden maksutta. Yhteydenotot yhdistyksen toimistolle.

Svenskspråkig kamratstöd verksamhet fortsätter

Föreningen kommer i år igen att anordna flera svenskspråkiga evenemang under höstsäsongen. Vi har bjudit in svensktalande experter som skall leda tre artroskvällar och två infokvällar om ledprotesoperationer. Artroskvällen är informativa evenemang där du har möjlighet att lära dig nytt om artros, hälsa och andra relevanta ämnen, samt dela mig dig och möta andra i liknande livssituation. Teman för höstens evenemang är: vårdvägen för artrospatienter, psykiskt välbefinnande och artros, och artros ur ett fysioterapeutiskt perspektiv. Deltagande i artroskvällen är avgiftsfritt och evenemangen är öppna för alla som är intresserade. Infokvällarna är i första hand avsedda för personer som överväger en ledprotesoperation, eller har redan bestämt sig att genomgå operation. Under infokvällarna delas väsentlig information om ledprotesoperationer, rehabilitering, och livet efter operationen. Infokvällarna leds av fysioterapeut. Du kan läsa om vårt program i mera detalj på sidan 27.

Kärry ja kävelysauvat -

matkalla mukavasti

Teksti ja kuva: Tuula Vainikainen

Meille nivelvaivaisille on tärkeää reissata elämää helpottavien apuvälineiden kanssa. Minulle lonkkavaivaiselle se tarkoittaa, että omat kävelysauvat on syytä ottaa mukaan. Omalla autolla kulkiessa ne kulkevat helposti matkassa. Lentoreissuilla taittelin aiemmin titaanisauvat kasaan ja pakkasin ne matkalaukkuun, nyt sauvon niillä lentokentällä koneeseen saakka, ne sopivat oikein hyvin ylälokeroon.

Kävelysauvat ovat sekä henkinen että ruumiillinen tuki. Kävellessä ne pitävät ryhdin parempana ja pysähtyessä ne tukevat mukavasti, mikä auttaa jaksamaan esimerkiksi jonottaessa. Sauvojen kanssa liikkuminen tekee sinusta tietenkin samalla henkilön, johon suhtaudutaan eri tavoin. Esimerkiksi Berliinin julkisissa kulkuvälineissä saan huomattavan usein istumapaikan.

Keväisenä aamuna lähdimme Puolison kanssa kaupungille Charlottenburgin laina-asunnostamme. Bussi M45 kohti Zoon S- ja U-asemaa nappasi meidät kyytiin hetken odoteltuamme. Emme olleet yksin liikkeellä. Valmistauduin nousemaan bussiin keskiovesta tyylikkääseen mustaan viittaan pukeutuneen vanhan rouvan ja hänen valkotukkaisen, mustaan villaulsteriin sonnustautuneen puolisonsa jälkeen. Rouvan noustua bussiin herra pysähtyi välittömästi huomatessaan minut jonossa ja päästi minut sisään vuolaasti anteeksi pyydellen, että oli edes aikeissa

Bussissa oli täyttä, zoomasin välittömästi takaosan ensimmäisellä rivillä olevan tyhjän ikkunapaikan, mutta näytin käytävän puolella istuvalle nousemaan valmistautuvalle miehelle, etten pääsisi sinne. Toisella puolella käytävää istuva nainen valmistautui jo antamaan minulle paikkansa. Samalla tunsin, kuinka joku koputti selkääni ja huomasin nuoren poliisin laskevan minulle taitettua istuinta keskitasanteella. Ihastuneena istahdin paikalle ja hetken päästä viereeni oli järjestetty paikka myös Puolisolle. Tajusin, että ympärillämme seisoi 5-6 virkapukuista poliisia, jotka bussin pysähtyessä auttoivat apua tarvitsevia ihmisiä sisään. Erään rouvan ostokset olivat leviämässä ja niistä huolehdittiin avuliaasti, pariin kertaan pudon-

nutta paahtoleipäpakettia metsästettiin porukalla. Olipa hauska tunnelma.

Avuliaita hetkiä olen kokenut myös tullessani rautatiesillan alla olevalla hämyisellä pysäkillä bussiin aurinkolasit päässä. Tunne, kun molemmille olkapäille naputetaan ja tarjotaan paikkaa, joita et oikein edes hahmota, on hämmentävä. Yleensä apua tarjotaankin. Tipitiukkaan pakatut bussit tai raitiovaunut ovat tietenkin joskus oma numeronsa.

Niin, ja se kärry on tietenkin pyörillä kulkeva ostoskärry, joka irtoaa edullisimmallaan vähän yli kymmenellä eurolla, jos sellainen ei ole jo kotoa lähtiessä mukana. Se auttaa pienten nivelten rikosta kärsivää Puolisoa kuljettamaan ruokatarvikkeita ja muita ostoksia asunnolle mukavammin kuin painavia kasseja raahaamalla. Kassien ja varsinkin muovikassien kahvat kuormittavat ikävästi niveliä. Ja kulkeehan kärryssä myös käsilaukkuni, jota en ole vielä oppinut korvaamaan selkärepulla.

Kävelysauvoista on joskus yllättävääkin hyötyä. – Mall of Berlin –ostoskeskuksen wc-jonossa odotti 20-30 lounasaikaan asioivaa teinityttöä, joita en paikalle tullessani osannut kuin ihmetellä. WC-vahti, topakka nainen osoitti välittömästi tyttöjen vieressä olevaa tyhjää kaistaa, nappasi minua käsipuolesta, saattoi jonon kärkeen ja tuuppasi sisään ensimmäiseen vapautuvaan wc-koppiin.)

Berliinin lemmikkimme on Wittenbergplatzin ja Ansbacher Strassen kulmassa päivystävä Endobär, jolla on tekonivelet ainakin polvessa, lonkassa ja olkapäässä.

Olkapään kuluma

jumppaa vai tekonivel ratkaisuksi?

Teksti: LT Anssi Ryösä, ortopedian ja traumatologian erikoislääkäri, Tyks Orto Kuvat: Anssi Ryösä ja Tyks

Olkapää on liikkuvin nivelemme. Tämänkin vuoksi sen vaivat aiheuttavat monesti merkittäviä haittoja potilaille arjessa ja toisaalta haasteita niitä hoitaville ortopedeille. On arvioitu, että jopa joka viidennellä yli 45-vuotiaalla olkapään kivun taustalta löytyy olkapään nivelrikko. Olkapään nivelrikko on kolmanneksi yleisin isossa nivelessä esiintyvä nivelrikko, lonkan ja polven nivelrikon jälkeen.

Mistä olkapään nivelrikko johtuu?

Olkapään nivelrikon syntyminen on monen tekijän summa. Yleisiä riskitekijöitä ovat korkea ikä ja nivelrikon esiintyminen suvussa. Tutkimusten mukaan raskas ruumiillinen työ ja tietyt olkapäätä kuormittavat liikuntalajit, esimerkiksi tietyt voimailulajit, hyvin aktiivisesti harrastettuna vaikuttavat lisäävän olkapään nivelrikon riskiä. Myös olkapään tapaturmat, kuten sijoiltaanmeno sekä olkaluun yläosan murtumat, lisäävät myöhemmin kehittyvän olkapään nivelrikon riskiä. Tulehdukselliset nivelsairaudet, muun muassa nivelreuma ja nivelpsori, voivat myös aiheuttaa olkanivelen nivelrikon ennen aikojaan.

Miten olkapään nivelrikko diagnosoidaan?

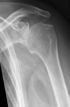
Noin joka kuudennella yli 40-vuotiaalla on todettu olevan olkapäässä nivelrikkomuutoksia, mutta monella ne eivät aiheuta oireita. Röntgenkuvassa olkapään nivelrikossa nähdään nivelraon kaventumista sekä osteofyyttejä eli luupiikkejä (kuva 1). Jos tällaisessa tilanteessa olkapäässä on liikekipua ja/ tai yösärkyä ja/tai nivelen jäykkyyttä, niin puhutaan oireisesta olkapään ni-

velrikosta. Toisen tyyppinen olkapään kulumasairaus on kiertäjäkalvosinartropatia. Oireet ovat saman tyyppisiä kuin nivelrikossa, mutta röntgenkuvassa olkaluun yläosa on noussut ylös suhteessa lapaluun maljaan (kuva 2).

Tämä johtuu taustalla olevasta, yleensä laajasta ja vanhasta, kiertäjäkalvosimen vauriosta. Olkapään nivelrikko ja kiertäjäkalvosinartropatia selviävät röntgenkuvasta. Muita kuvantamistutkimuksia ei yleensä tarvita (esim. ultraääni taikka magneettikuvaus).

Konservatiivisen hoidon keinot

Olkapään nivelrikon ja kiertäjäkalvosinartropatian ensilinjan hoito on konservatiivinen. Tähän kuuluvat kivunhoito ja kylmähoito. Kipulääkkeinä suositeltavia ovat parasetamoli ja tulehduskipulääkkeet. Mikään tehtävä taikka harrastus ei ole kiellettyä, mutta tyypillisesti olkapään kipu voi pahentua rasituksesta. Näissä tapauksissa kipua aiheuttavaa rasitusta kannattaa keventää. Työelämässä olevilla työnkuvan muokkauksesta kannattaa keskustella työterveyslääkärin ja työnantajan kanssa. Monesti potilaat hyötyvät fysioterapeutin ohjaamista hartiarenkaan asento- ja liikekontrolliharjoitteista. Oireen

pitkään kestäessä voi kehittyä vääränlaisia liikerytmejä, jotka entisestään kipeyttävät olkapäätä. Hyvin moni pärjää oirekuvan kanssa pelkästään yllä mainituilla konservatiivisen hoidon keinoilla. Nämä alkuvaiheen hoidot voidaan toteuttaa perusterveydenhuollossa, työterveydessä taikka kolmannen sektorin toimijoilla.

Anssi Ryösä
Kuva 1. Tavallinen olkapään kuluma

Olkapään tekonivelleikkaus

Alkavassa ja röntgenkuvan perusteella vielä lievässä nivelrikossa tekonivelleikkausta ei harkita. Näissä tapauksissa konservatiivinen hoito on monesti riittävä. Alkuvaiheen hankalakin kiputilanne tyypillisesti rauhoittuu ajan kanssa, vaikka nivelrikko itsessään ei häviä.

Tilanteessa, jossa röntgenkuvassa nähdään selkeät nivelrikko- tai kiertäjäkalvosinartropatiamuutokset ja olkapään kipu ja/tai liikevaje aiheuttavat merkittävää haittaa ja elämänlaadun laskua, voidaan tekonivelleikkausta harkita. Tässä tapauksessa leikkaushoitoa toteuttavassa yksikössä käydään potilaan kanssa läpi nykyinen oirekuva ja tutkitaan olkapään toiminta. Tekonivelleikkauspäätös tehdään aina yksilöllisesti, hyödyt ja riskit punniten. Tekonivelleikkausta ei juuri koskaan ole pakko tehdä. Sillä hoidetaan elämänlaatua eli parannetaan olkapään kipua ja toimintaa. Monesti lopullisen ratkaisun leikkaukseen ryhtymisestä tekeekin potilas itse, jos leikkaava ortopedi on arvioinut sen asianmukaiseksi hoitovaihtoehdoksi. Itse tekoniveleen liittyviä merkittävimpiä riskejä leikkauksen jälkeen ovat mm. tulehdus (0,5-2,9 %) ja epävakaus (1-5 %), joiden riskiprofiiliin vaikuttavat hyvin monet tekijät (esim. kuluman tyyppi ja täten valittu tekonivel-

malli, potilaan ikä ja perussairaudet, mahdolliset aikaisemmat olkapään leikkaukset). Tekonivelen tulehdus ja epävakaus vaativat monesti uusintaleikkauksen. Nykyisin käytössä olevilla tekonivelmalleilla vain n. 5 prosenttia potilaista joutuu uusintaleikkaukseen 10 vuoden seurannassa, jota voidaan pitää hyvänä tuloksena.

Leikkauksen riskeistä ja myös odotettavissa olevista hyödyistä kannattaa aina tarkemmin keskustella leikkaavan ortopedin kanssa, koska nämä vaihtelevat yksilöstä riippuen.

Tavanomaisessa olkapään kulumassa (kuva 1) käytetään ns. anatomista tekonivelmallia (kuva 3), jossa olkaluun pää korvataan metallilla ja lapaluun malja muovikomponentilla. Tekonivelen toiminta nojaa tässä tapauksessa ehjään ja normaalisti toimivaan kiertäjäkalvosimen lihaksistoon. Jos olkapään kuluma ei ole tavanomainen taikka kyse on kiertäjäkalvosinartropatiasta (kuva 2) niin käytetään ns. käänteistä tekonivelmallia (kuva 4). Nimenkin mukaisesti tekonivelen osat ovat käänteisessä järjestyksessä anatomiseen tekoniveleen verrattuna. Käänteisen tekonivelen toiminta perustuu pääosin kolmipäisen hartialihaksen toimintaan yhdessä jäljellä olevan kiertäjäkalvosimen lihaksiston kanssa.

Olkapään tekonivelleikkaus voidaan nykyisin toteuttaa päiväkirurgisena toimenpiteenä. Moni on kuitenkin yön

yli sairaalassa, johtuen mm. muista sairauksista. Leikkauksen jälkeen käytetään muutama viikko kantosidettä. Kolmannen viikon jälkeen aloitetaan olkapään kevyet liikeharjoitteet ja n. kuuden viikon jälkeen kättä saa jo käyttää enemmän, välttäen raskaampaa käyttöä aina kolmeen kuukauteen asti. Leikkauksen jälkeinen kuntoutus etenee fysioterapeutin ohjeiden mukaisesti kontrollien yhteydessä. Elämää olkapään tekonivelen kanssa

Olkapään tekonivelleikkausten tulokset ovat hyviä. Esimerkkinä voidaan todeta, että lonkan tekonivelleikkausta on sanottu yhdeksi vaikuttavimmista kirurgisista toimenpiteistä. Klinikkamme tuoreen tutkimuksen mukaan potilaan saama hyöty olkapään tekonivelleikkauksesta on vähintäänkin yhtä hyvä kuin lonkan tekonivelleikkauksen jälkeen. Kuntoutumisajan jälkeen olkapäätä ei tarvitse arjessa mitenkään erikseen varoa. Aikaisemmin potilaille on annettu erilaisia rajoituksia olkapään käytölle, mutta niistä on sittemmin luovuttu. Olkapää kyllä kestää normaalin arjen käytön sekä ison osan työssä ja harrastuksissa tulevista kuormituksista. Kuitenkaan hyvin raskaita toistorasituksia (esim. penkkipunnerrus) ei voida kuitenkaan suositella.

Lähteet ovat saatavilla toimituksesta.

Kuva 4. Käänteinen tekonivel Kuva

Kiertäjäkalvosinvaivaan apua harjoitteilla

Teksti: Ina Vihilehti, Fysioterapeutti (ylempi AMK), suunnittelija, TULE-tietokeskus

Kuvat: TULE-tietokeskus

Olkapäävaivat ovat selkä- ja niskavaivojen ohella yleisimpiä tuki- ja liikuntaelinvaivoja fysioterapeuttien vastaanotolla. Olkapään kiputilat voivat johtua monista eri syistä, ja näistä yleisimpiä ovat kiertäjäkalvosimeen liittyvät vaivat. Terapeuttinen harjoittelu on vaikuttavaa kiertäjäkalvosimen vaivoissa ja näin ollen se on ensisijainen konservatiivinen eli ei-leikkauksellinen hoitomuoto.

Olkanivel on pallonivel

Olkanivel on ihmisen liikkuvin nivel. Olkaluun pallomainen pää mahdollistaa nivelen laajan liikkuvuuden. Lapaluu muodostaa nivelen vastapinnan eli nivelkuopan. Lapaluun tehtävänä on tukea olkaniveltä taka- ja alapuolelta sekä tarjota olkapäätä liikuttaville lihaksille kiinnityskohtia. Olkanivelen etupuolella solisluu suojaa yläraajaan kulkevia verisuonia ja ääreishermoja. Olkanivel on altis rakenteellisille, ikääntymiseen liittyville ja tapaturman jälkeisille muutoksille.

Kiertäjäkalvosin

Kiertäjäkalvosin eli rotator cuff on neljän eri olkaniveltä tukevan lihaksen muodostama jännekalvo. Nämä lihakset lähtevät lapaluun alueelta ja kiinnittyvät olkaluun yläpäähän. Kiertäjäkalvosimen lihasten tukevoittava vaikutus perustuu siihen, että samalla kun lihakset mahdollistavat nivelen liikkeet, ne myös painavat olkaluun päätä lapaluun nivelpintaa vasten ja näin ollen varmistavat, että olkaluun pää pysyy nivelkuopassa. Tämä on toiminnallisesti merkittävää, sillä lapaluun nivelkuoppa on huomattavasti pienempi kuin olkaluun pää. Lisäksi kiertäjäkalvosimen lihasten toiminta kiertää olkavartta ulos- ja sisäänpäin. Kiertäjäkalvosin on altis akuuteille vaurioille, jännetulehduksille sekä ikääntymisestä johtuville ja vähitellen eteneville rappeutumismuutoksille, jotka heikentävät jänteiden vetolujuutta. Olkapääkipu voi oireilla monella tavalla Kiertäjäkalvosimen jännevaivan tyypillinen oire on kipu, joka ilmenee levossa, rasituksessa tai molemmissa. Kipua esiintyy erityisesti hartiatason yläpuolella tapahtuvissa liikkeissä sekä yläraajaa sivusuuntaan nostettaessa. Kivuliaan olkapään kanssa yläraajan käyttö on usein varovaista. Päivittäiset toiminnot, kuten paidan pukeminen tai hiusten pesu voivat olla hankalia ja uni saattaa häiriintyä. Kiertäjäkalvosimen repeämään liittyviä oireita ovat myös aktiivisen liikelaajuuden rajoittuminen sekä voiman heikkeneminen. Kipu paikantuu usein olkapään ulkosivulle ja olkavarren yläosaan. Jänteiden paraneminen on hidas prosessi, joten se vaatii pitkäjänteistä harjoittelua sekä kärsivällisyyttä.

Apua isometrisistä harjoitteista

Isometrisellä harjoittelulla tarkoitetaan asentoa ylläpitävää lihastyötä. Isometrisissä harjoitteissa lihakset aktivoituvat ilman nivelen liikettä tai lihasten pituuden muutosta. Harjoittelumuoto soveltuu hyvin kipeälle olkapäälle. Harjoittelun hyvät puolet ovat sen helppo kontrolloitavuus ja korkea lihasaktiivisuustaso. Pidä lihasjännitys noin 1-5 sekuntia, jonka jälkeen päästä rennoksi. Toista tämä 5-10 kertaa. Nämä isometriset harjoitteet aloitetaan aina samasta alkuasennosta. Kyynärpää on noin 90 asteen kulmassa ranne suorana ja hartiat alhaalla. Alkuasennosta kättä tai käsivartta painetaan seinää vasten eri suunnista: nyrkillä suoraan eteen, kyynärpään takaosalla taakse, kyynärvarrella sivulle sekä kämmenselällä ulospäin ja kämmenellä sisäänpäin kohti vatsaa.

Isometrisissä harjoitteissa lihaksen pituus ei muutu. Paina kättä seinää vasten ja pidä jännitys muutaman sekunnin ajan, jonka jälkeen päästä rennoksi.

Heiluriliikkeessä tavoitteena on rentouden lisääntyminen, kivun lievittyminen ja liikelaajuuden ylläpysyminen.

Muita harjoittelumuotoja

Kivuliaalle olkapäälle voi lisäksi kokeilla heiluriliikettä, jossa toisella yläraajalla nojataan pöytään ja annetaan kipeän yläraajan roikkua vapaasti sormet kohti lattiaa. Tarkoituksena on pitää yläraaja täysin rentona ja antaa sen heilua rauhallisesti alaraajojen painonsiirtojen avulla. Tee heiluriliikettä 1-2 minuuttia kerrallaan.

Tärkeää on ylläpitää olkapään liikettä ja oireilevan yläraajan käyttöä arjessa kivun sallimissa rajoissa. Kivun hellittäessä rasitusta voidaan vähitellen nostaa ja kuntoutumisen edetessä harjoitteluun voidaan lisätä esimerkiksi keppi- tai kuminauhaharjoitteita. TULE-tietokeskuksesta sekä nettisivuilta www.tule.fi löytyvät tarkemmat ohjeet kipeän olkapään liikeharjoitteisiin sekä keppi- ja kuminauhaharjoitteisiin.

Lähteet ovat saatavilla toimituksesta.

Humalistonkatu 10 20100 Turku 044 744 7085 toimisto@tule.fi www.tule.fi

KUMARTAISIN, JOS VOISIN. MUTTA SATTUU!

NYT ÄKKIÄ APTEEKKIIN ARTHROA HAKEMAAN.

Arthro Nivelvoiteen viilentävä vaikutus tuntuu heti ja nivelkivun tunne, kuumotus ja turvotus helpottuvat. Rustovalmiste Arthro Caps tukee nivelten hyvinvointia. Se sisältää mm. glukosamiinia, kondroitiinia, C-vitamiinia ja hyaluronihappoa. Pitkäkestoinen vaikutus niveliin nivelvoiteen täsmähelpotuksen rinnalle.

Päiväkirurgiasta apu pidentyneisiin leikkausjonoihin

Teksti: Annukka Helander

Tyks Ortossa tehtiin viime syksynä jo noin kolmannes lonkan ja polven ensivaiheen tekonivelleikkauksista päiväkirurgisti (PÄIKI). Päiväkirurgian lisääntymisen myötä toimintaa Tyks Ortossa on voitu tehostaa ja näin on nopeutettu kaikkien potilaiden hoitoon pääsyä. Sairaalan vuodeosastopaikkoja voidaan näin vapauttaa potilaille, jotka niitä erityisesti tarvitsevat.

Väestö vanhenee Suomessa, ja sen myötä ikään liittyvät tuki- ja liikuntaelisairaudet, kuten nivelrikko ovat yleistyneet. Myös polven ja lonkan tekonivelleikkausten tarve on kasvanut tasaisesti.

Ortopediassa on pitkä ja hyvä kokemus päiväkirurgisista leikkauksista esimerkiksi polven tähystystoimenpiteissä. Raskaammat ortopediset toimenpiteet, kuten polven tai lonkan tekonivelleikkaukset, ovat perinteisesti vaatineet yöpymistä sairaalassa, ja tulevat jatkossakin vaatimaan vanhempien ja sairaampien potilaiden osalta.

- Soveltuvuuteen vaikuttavat terveydentila ja tiedossa olevat sairaudet, tuki kotona leikkauksen jälkeen sekä potilaan oma motivaatio päiväkirurgiseen toimenpiteeseen, erikoislääkäri Matias Hemmilä Tyks Ortosta kertoo.

Päiväkirurgiassa potilas ei jää yöksi sairaalaan leikkauksen jälkeen, vaan pääsee kotiin jo saman vuorokauden aikana. Päätös päiväkirurgisesta toimenpiteestä tehdään yhdessä potilaan kanssa poliklinikkakäynnillä, kun leikkaushoidosta on päätetty yhdessä lääkärin kanssa.

Fysioterapeutin vastaanotolle ennen ja jälkeen leikkausta

Jokainen päiväkirurgiseen toimenpiteeseen tuleva potilas käy fysioterapeutin vastaanotolla ennen leikkausta sekä sen jälkeen. Käynneillä käydään läpi leikkaukseen valmistautumista, opetellaan kyynärsauvoilla kävelyä jo ennen toimenpidettä ja katsotaan, kuinka toipuminen on lähtenyt käyntiin toimenpiteen jälkeen. Leikkauspäivänä potilaan tilaa arvioidaan tarkasti toimenpiteen jälkeen ja varmistetaan että potilaan vointi sallii kotiinlähdön jo samana päivänä. Myös päiväkirurgisissa leikkauk-

sissa potilasturvallisuus on ensisijaista, joten jos arvioidaan ettei kotiutuminen ei ole turvallista, potilas jää sairaalaan yöksi.

- Potilastyytyväisyys päiväkirurgiassa on ollut huippuluokkaa keräämämme palautteen mukaan. Hyvä leikkauksen lopputulos ja korkea potilastyytyväisyys ovat hoitohenkilökunnan ja potilaan yhteistyön tulosta, Matias Hemmilä lisää.

Päiväkirurgisten leikkausten määrä kasvoi keväällä 2024

Keväällä päiväkirurgisten leikkausten määrä nousi yhä. Leikkausjonojen pituus Tyks Ortossa oli keväällä 2024 päiväkirurgiseen leikkaukseen 4-5 kuukautta ja tavanomaiseen, vuodeosastopaikan vaativaan leikkaukseen 1012 kuukautta. Jonotusajat ovat lähteneet laskuun.

Päiväkirurgisia tekonivelleikkauksia tehdään Tyks Ortossa päivittäin keskimäärin kolme. PÄIKI-potilaat säästävät osastopaikkoja niitä tarvitseville ja näin ollen kaikki jonotusajat ovat lyhentyneet. Vuodeosastojen kapasiteetti on rajoittanut leikkaukseen pääsyä.

Potilasturvallisuuden takaaminen vaatii joskus suunnitelmien muutosta ja siksi päiväkirurgisista potilaista noin 15 % on joutunut jäämään osastolle yöksi.

- Päiväkirurgisen leikkauksen onnistumisen taustalla on hiottu prosessi ja potilaan valmentaminen ja valmistautuminen tulevaan. Fysioterapia on yksi osa sitä. Etukäteen annettu ohjaus on osoittautunut erittäin toimivaksi ja se nousi esille palautteessa, mutta näkyy myös työssämme. Hyvin valmistautunut ja motivoitunut potilas on PÄIKI-toiminnan edellytys, kertoo Matias Hemmilä.

Kenelle PÄIKI-tekonivelleikkaus sopii ja miten se tehdään

Tekonivelleikkaukseen päiväkirurgisena potilaana on mahdollista päästä, kun tietyt edellytykset täyttyvät. Tärkeintä on potilaan oma motivaatio, eikä kukaan joudu PÄIKI-potilaaksi vastoin tahtoaan.

Päiväkirurginen tekonivelleikkaus on yleensä mahdollinen, jos potilas on alle 75-80-vuotias ja suhteellisen terve. Tietyt sairaudet ja lääkitykset, kuten uniapnea, sydänsairaudet ja 1-tyypin diabetes, muistisairaudet ja verenohennuslääkkeiden käyttö, voivat estää toimenpiteen. Painoindeksin tulee olla alle 35. Tupakointi ja päihteiden käyttö voivat myös estää toimenpiteen päiväkirurgisena. Potilaan on asuttava tai yövyttävä leikkauksen jälkeen kohtuullisen etäisyyden päässä päivystävästä sairaalasta.

Sairaanhoitaja selvittää leikkausta edeltävästi taustatiedot, kuten lääkitykset ja terveydentilan. Fysioterapeutin käynnillä 1-2 viikkoa ennen leikkausaikaa mm. harjoitellaan leikkauksen jälkeistä liikkumista sekä kerrotaan tarpeellisista apuvälineistä, jotka potilas hankkii itse apuvälinelainaamosta. Lääkereseptit kipuun, pahoinvointiin ja vatsan toimintaan tehdään ennen leikkausajankohtaa. Sairaalasta saa mukaan pesuvaahdon ja nenävoiteen, joita käytetään viiden päivän ajan ennen leikkausta.

PÄIKI-leikkaukseen tullaan aamuseitsemältä. Leikkaus tehdään puudutuksessa ja tarpeen mukaan kevyessä nukutuksessa. Leikkaus kestää yleensä alle tunnin. Päiväkirurginen potilas kotiutuu leikkauspäivänä yleensä illansuussa, kun liikkuminen sujuu, kivut ja pahoinvointi ovat kurissa, syöminen ja virtsaaminen onnistuu ja haavataitos on siisti. Ennen kotiutumista otetaan myös röntgenkuvat ja tarpeen mukaan verikokeita. Noin kahden viikon kuluttua leikkauksesta on vielä toinen fysioterapeutin käynti sekä hakasten poisto joko samassa yhteydessä tai muuna ajankohtana.

Kokemuksia päiväkirurgisesta

leikkauksesta Tyks Ortossa

Teksti: Annukka Helander

Kuva: Carita Eklund

Carita Eklund, 52, oli päiväkirurgisessa lonkkaleikkauksessa joulukuussa 2023. Vasemman lonkan kipu oli alkanut kevättalvella talviloman klapiurakassa. Kipu yltyi muutamassa päivässä sietämättömäksi ja Carita hakeutui terveyskeskukseen, jossa sai kortisonipiikin. Muutaman viikon jälkeen kipu yltyi taas kovaksi ja seuraavalla kerralla otettiin myös röntgenkuvat.

- Hieman yllättäen kuvat osoittivat, että nivelrustoa ei ollut juurikaan jäljellä ja pääsin leikkausjonoon. Aikaisemmin lonkka ei ollut juuri vaivannut.

Carita kuvaa olevansa aktiivinen liikkuja ja tekijä, jolta sujuu kotitilalla klapitöiden lisäksi ruohonleikkuu ja taakkojen nostot. Ehkä kehon vähäinen toispuoleisuus sekä nuorena, jo 14-vuotiaana aloitettu hoitotyö nostoineen vaikuttivat siihen, että nivelrikko tuli näin nuorella iällä.

Caritan leikkausprosessi eteni vauhdikkaasti. Huhtikuussa hän pääsi leikkausjonoon, syyskuussa ortopedin vastaanotolle ja leikkaukseen hieman ennen joulua.

- Leikkaus meni hyvin liiallista verenvuotoa lukuun ottamatta, mikä taitaa olla yksilöllinen piirteeni. Sen vuoksi minulle oltiin jo järjestämässä vuodepaikkaa sairaalasta, mutta päättäväisesti halusin kotiin. Kotiuduin kello 18.55 – vain viisi minuuttia ennen takarajaa.

- Olen ehdottomasti tyytyväinen päiväkirurgiseen leikkaukseen. Kotimatka sujui hyvin, sillä puudutusta ja kipulääkitystä oli vielä jäljellä. Kotona en päässyt ”laitostumaan” yhtään, sillä nousin esimerkiksi syömään keittiön pöydän ääreen. Uskon myös, että kotona nukuin paremmin. Ystäväni oli luonani, mutta ei hyysännyt minua sen enempää kuin oli pakko, vaan tein itse kaiken minkä pystyin. Hän oli turvana lähinnä kaatumisen tai verenvuodon varalle.

Noin kuukausi ennen leikkausta Carita sai apuvälineet kotiin ja fysioterapeutin kehotuksesta hän otti myös kyynärsauvan käyttöön ontumisen vähentämiseksi. Samoihin aikoihin leikkaus alkoi pelottaa, mutta Carita tunnisti pelon liittyvän enemmän perheen vastuunkantajan rooliin kuin itse operaatioon.

Sairaanhoitajan koulutuksen saaneena Carita katsoo kuntoutumisen prosessia osittain ammattilaisen silmin ja kokemukseen peilaten.

- En osannut kuvitellakaan, miten vaativaa leikkauksesta kuntoutuminen on. Lihaskunto heikentyi jo leikkausta odotellessa. Pohdin, kuinka kuntoutumisessa yleensä edetään? Siihen olisin toivonut enemmän neuvoja ammattilaisilta, mutta vertaistukikin olisi voinut olla tässä avuksi. Olisin kaivannut perusteellisimpia jumppaohjeita fysioterapiasta. Ohjeisiin voisi myös lisätä tiedon, missä liikkeiden pitäisi tuntua ja mitä niiden pitäisi kehittää.

Leikkauksen jälkeiseen ruokahuoltoon Carita antaa hyvän vinkin

- Tein kattilallisen soppaa valmiiksi ennen leikkaukseen menoa. Sen jälkeen tilasin ruoat kaupasta kotiovelle.

Toipumisen etenemistä ja vaiheita Carita pohtii

Aina on paras aika risteilylle!

- Leikkaukseni tehtiin juuri ennen joulua. Onneksi joulun aikana on luontevaa vierailla, ja minäkin sain lähes joka päivä apua ja seuraa glögivieraista. Joulun jälkeen pärjäsin jo itsekseni, mutta ulos en päässyt liukkaiden kelien vuoksi.

- Sairauslomalla olin kahdeksan viikkoa. Sen jälkeen olisi ehkä kannattanut palata työhön osa-aikaisena ja hakea osasairauspäivärahaa. Vaikka nykyinen työni ei ole fyysisesti rasittavaa, huomasin, että työ vei kuitenkin voimia kuntoutumiselta. Kun on suhteellisen nuori tekonivelleikkauksen läpikäyneeksi ja kun toipuminen ei näy päälle päin, voivat vaatimukset olla suuret – erityisesti itseltä. On vaikeaa vaan olla ja levätä.

Kokemukset jatkuvat seuraavalla sivulla!

Carita Eklund

Teksti: Annukka Helander

Kuva: Raine Viljanen

Raine Viljasen, 45, oikea lonkka leikattiin tammikuussa 2024. Oireilua oli kestänyt lähes kymmenen vuotta, mutta se oli tuntunut enemmän selässä ja polvissa, kuin lonkkakipuna. Selkeää syytä lonkan nivelrikolle ei ole, mutta Raine epäilee sen saaneen alkunsa kamppailulajissa syntyneestä polvivammasta, joka taas on voinut aiheuttaa ontumista ja virheasentoja. Raine oli käynyt vaivojensa vuoksi fysioterapiassa noin viiden vuoden ajan. Lonkan nivelrikkoa oli vaikea uskoa nuoren iän vuoksi eikä virheellisesti ohjattu kuntoutus oikein tepsinyt. Kipulääkkeitä oli pakko käyttää ja kipu aiheutti myös univaikeuksia.

Ensimmäiset röntgenkuvat otettiin keväällä 2022 työterveyshuollossa ja niissä näkyi lonkan selkeää kulumaa. Uudet röntgenkuvat otettiin terveyskeskuksessa noin vuotta myöhemmin, niistä nähtiin nivelrikon edenneen ja terveyskeskuksesta annettiin lähete ortopedille.

Syksyllä 2023 Raine oli ortopedin vastaanotolla Tyks Ortossa. Ortopedi teki tutkimuksen, aloitti keskustelun leikkauksesta ja kertoi perusteellisesti mitä sen aikana tapahtuu, mutta yksi asia jäi vastaanotolla vaivaamaan.

- Minun oli pakko keskeyttää ja kysyä, että niin – onko nyt niin, että pääsen siihen leikkaukseen? Ajattelin yhä nuoren iän olevan este, mutta ehkä univaikeudet nivelrikon ohella olivat niin iso haitta, että leikkauspäätös syntyi jo siinä vastaanotolla. Positiivinen

yllätys siis, että pääsinkin leikkaukseen näin pian.

- Vinkkinä leikkaukseen valmistautuville haluan sanoa, että ohjeita tulee todella paljon ja niihin joutuu palaamaan useita kertoja prosessin aikana. Omaolo.fi-sivusto auttoi hyvin tässä.

Raine sairastaa asentoriippuvaista uniapneaa, eikä heti alussa ollut varmaa, onko leikkaus päiväkirurgisena mahdollinen. CPAP-laitetta hänellä ei ole käytössä, vaan uniapneavyö. Ennen leikkausta anestesialääkäri teki päätöksen, ettei osastohoito ole välttämätöntä. Uniapneavyö teki kuitenkin haasteensa leikkauksen jälkeen, kun leikatulla kyljellä eikä selällään voinut nukkua. Keskustelussa hoitajan kanssa tultiin kuitenkin tulokseen, ettei näin lyhytaikainen muutos ole haitaksi uniapnean hoidon kannalta. Itse leikkaus sujui hyvin, osittain hereillä ja unessa.

- Olen tällainen tutkiva persoona ja olisin halunnut olla hereillä leikkauksen ajan ja kuulla esimerkiksi siihen liittyvät äänet. Etukäteen katsoin videoita tekonivelleikkauksista. Kuitenkin, kun kerroin leikkausviillon tuntemuksista sairaanhoitajalle leikkauksen alussa, lisättiin nukutusaineita niin, etten ihan pystynyt leikkausta seuraamaan. Tilanteen mukaan siis edettiin.

Kotiin sairaalasta Raine pääsi iltaviiden aikoihin, kun jalat kantoivat ja hän pääsi itse liikkumaan. Kotiin oli tärkeää päästä.

- Kotona sain liikkua omaan tahtiin ja tehdä rauhassa harjoitteita. Lisäksi kotona on olot, joissa on pärjättävä, esimerkiksi sängyn korkeus ja wc:n

koko eivät ole samaa luokkaa kuin sairaalassa. Kotiin olin saanut etukäteen apuvälineiksi sukanvetolaitteen, noukintapihdit, wc-korokkeen ja kyynärsauvat.

Haastatteluhetkellä leikkauksesta on kulunut kaksi kuukautta, ja toipuminen on tapahtunut varsin nopeasti. Raine oli sairauslomalla neljä viikkoa ja palasi sen jälkeen työhön. Näyttöpäätyön ohessa on mahdollisuus liikkua ja vaihdella istuimiakin. Sauvoja hän käytti noin 1,5 kuukauden ajan.

"Kotona sain liikkua omaan tahtiin ja tehdä rauhassa harjoitteita."

- Tein jumpat tosi tarkkaan fysioterapeutin ohjeiden mukaan. Koen tosi tärkeänä, että pääsin fysioterapeutin vastaanotolle kolme kertaa leikkauksen jälkeen: kahden, neljän ja kuuden viikon kohdalla. Näillä käynneillä tarkasteltiin edistymistä ja päivitettiin jumppaohjeet. Toivottavasti kaikilla olisi mahdollisuus saada yhtä paljon ja perusteellista fysioterapiaa, ensimmäiset viikot ovat kuntoutumisen kannalta todella tärkeitä.

- Elämänlaatuni parani leikkauksen myötä ja leikkaus todella kannatti. Harrastin liikuntaa leikkaukseen asti, mutta liikunnan jälkeen kipu oli aina haittana. Nyt kivut ovat poissa.

Tekonivelleikkaus päiväkirurgisena Tyks Ortossa

Maanantaina 23.9. klo 17

Nivelyhdistyksen tilat, Lonttistentie 9 B 15. Vieraina endoproteesihoitaja Hanna Metsämäki sekä fysioterapeutti Lotta Holm

Tule kuulemaan kenelle päiväkirurginen operaatio sopii, millainen hoitoprosessi on ja kuinka valmistautua siihen.

Raine Viljanen

Lääkäriseura Duodecim palkitsee vuosittain kaksi lääketieteen opiskelijaa hyvästä ammattikielen taidosta Niilo-palkinnoilla. Iso-Niilo myönnettiin Nina Keitaanpäälle, joka kirjoitti nivelrikosta. Palkinnot myönnettiin Lääketieteen sanastolautakunnan keväällä järjestämän kirjoituskilpailun perusteella. Tehtävänä oli kirjoittaa potilaalle suunnattu teksti vapaavalintaisesta taudista: sen synnystä, toteamisesta, hoidosta ja ennusteesta.

Nivelrikkoa hoidetaan ensisijaisesti lääkkeettömästi

- avainasemassa liikunta ja painonhallinta

Teksti ja kuva: Nina Keitaanpää, lääketieteen kandidaatti, Tampereen yliopisto Terveessä nivelessä luiden nivelpintoja päällystää nivelrusto, jonka ansiosta nivel voi liikkua sujuvasti – jopa lähes ilman kitkaa. Nivelrikkoa sairastavilla nivelrusto kuitenkin ohenee vuosien kuluessa hitaasti ja siitä alkaa irrota pieniä palasia. Kun rusto on kulunut riittävän ohueksi, lopulta myös sen alla oleva luu alkaa vaurioitua. Muutosten seurauksena nivelkalvo tulehtuu, mikä luuvaurioiden ohella aiheuttaa kipua.

Sairauden perimmäinen syy on yhä tuntematon, mutta aihetta tutkitaan aktiivisesti. Tällä hetkellä tiedetään, että nivelrikko on tulehduksellinen sairaus, jossa ruston toiminta on häiriintynyt ja sen hajoaminen on kiihtynyt. Ongelma piilee siinä, että nivelrusto ei vaurioiduttuaan enää uusiudu vaan rustovaurio jää pysyväksi.

Riski sairastua nivelrikkoon lisääntyy voimakkaasti iän myötä. Ikääntymisen lisäksi ylipaino ja raskas fyysinen työ ovat etenkin alaraajojen nivelrikon riskitekijöitä. On kuitenkin tärkeää ymmärtää, että tavanomainen liikunta ei kuluta terveitä niveliä tai aiheuta nivelrikkoa vaan päinvastoin: aktiivisilla elämäntavoilla voidaan sekä ennaltaehkäistä nivelrikon syntymistä että lievittää sen oireita. Toisaalta niveleen kohdistuvat tapaturmat, kuten vaikeat polvivammat, lisäävät nivelrikon kehittymisen todennäköisyyttä. Lisäksi perintötekijät vaikuttavat sairastumisalt-

tiuteen, kuten monien muidenkin sairauksien kohdalla.

Nivelrikkopotilas saapuu lääkärin vastaanotolle yleensä jomottavan nivelkivun vuoksi. Yleisimmin oirehtivia niveliä ovat polvi, lonkka, selkärangan nivelet, isovarpaan tyvinivel sekä sormien nivelet. Lääkärin tekemä diagnoosi perustuu potilaan oireisiin, nivelen tutkimiseen sekä röntgenkuvaukseen. Useimmiten nivelrikkokipu pahenee rasituksessa ja helpottaa levossa, mutta sairauden edettyä kipua voi esiintyä myös öisin ja se voi haitata nukkumista. Lisäksi nivelestä saattaa kuulua ritinää ja sen liikerata voi olla rajoittunut. Etenkin useissa nivelissä esiintyessään nivelrikko voikin heikentää toimintakykyä merkittävästi.

Röntgenkuvassa nivelrikko havaitaan nivelraon kaventumisena ja muutoksina luun pinnassa. Röntgentutkimuksessa ilmenevä ruston ohentuminen ja potilaan kokemat oireet eivät kuitenkaan usein kulje käsi kädessä: vaikka nivelrusto olisi vain hieman kulunut, nivelessä voi esiintyä voimakasta kipua. Toisaalta röntgenkuvissa nivelrikkoon viittaavia muutoksia havaitaan valtaosalla yli 65-vuotiaista, mutta useimmat heistä ovat oireettomia tai lieväoireisia. Oireetonta nivelrikkoa ei tarvitse hoitaa.

Nivelrikon hoidossa ensisijaista on lääkkeetön hoito, jossa niveleen kohdistuvaa kuormaa pyritään vähentämään. Ylipainoisilla painonpudotus lievittää niveloireita ja ehkäisee nivel-

rikon etenemistä tehokkaasti. Erilaiset apuvälineet, kuten kävelykeppi, voivat myös helpottaa liikkumista. Tarkoituksena on kuitenkin säilyttää nivelen liikelaajuus, joten liikkumista ei suinkaan kannata lopettaa. Lisäksi reisi- ja pakaralihasten vahvistaminen on tärkeää erityisesti lonkan ja polven nivelrikko-oireiden helpottamiseksi. Sopivia liikuntamuotoja ovat esimerkiksi vesijuoksu ja pyöräily sekä muut lajit, joissa nivelen ei tarvitse vastaanottaa iskuja. Kipua aiheuttavaa liikuntaa on syytä välttää.

Sairautta parantavaa tai sen etenemistä hidastavaa lääkettä ei ainakaan toistaiseksi ole saatavilla, mutta kipua voidaan tarpeen tullen hillitä lääkityksellä. Lääkehoito suunnitellaan aina yksilöllisesti jokaiselle potilaalle. Ensisijainen lääke on parasetamoli, ja tarvittaessa sen rinnalle voidaan lisätä voimakkaampia kipulääkkeitä. Mikäli oireet eivät lievity muilla hoitokeinoilla, voidaan harkita tekonivelleikkausta. Tekonivelpotilaiden ennuste on nykyään hyvä: onnistuneen leikkauksen ja kuntoutuksen jälkeen kipu helpottuu ja elämänlaatu paranee. Nivelrikko on etenevä sairaus eli ilman hoitoa sen oireet tyypillisesti pahenevat ajan kuluessa. Kuitenkin huolellisella omahoidolla, elämäntapamuutoksilla ja sopivalla lääkityksellä oireet saadaan tavallisesti hallintaan, jolloin valtaosa nivelrikkopotilaista selviytyy sairauden kanssa hyvin.

Lähteet ovat saatavilla toimituksesta.

Nina Keitaanpää

Vasaravarpaat – syyt, ennaltaehkäisy ja hoito

Teksti: Hanna Kaisa Järvinen, jalkaterapeutti (AMK), TtK, TtM-opiskelija, hoitotieteen laitos, Turun yliopisto Minna Stolt, TtT, professori (ma.), jalkaterapeutti (AMK), hoitotieteen laitos, Turun yliopisto ja Satakunnan hyvinvointialue Kuvat: Hanna Kaisa Järvinen

Vasaravarvas on asentomuutos, jossa varvas koukistuu yhdestä tai useammasta nivelestä. Asentomuutos on melko yleinen ja sitä voi esiintyä yhdessä tai useammassa varpaassa. Tähän asentomuutokseen voi olla useita syitä, ja ne voivat vaihdella yksilöittäin. Vasaravarvas voi olla tyypiltään liikkuva tai jäykistynyt. Liikkuva vasaravarvas voidaan suoristaa varpaaseen puettavalla oikaisijalla. Sen sijaan jäykistynyt vasaravarvas on koukistunut ja sen suoristaminen konservatiivisesti on mahdotonta. Tässä artikkelissa kuvataan vasaravarpaiden syitä, ennaltaehkäisyä ja itsehoidon keinoja.

Vasaravarvas-asentomuutoksen syyt voivat olla toiminnallisia, rakenteellisia tai hankittuja. Toiminnalliset syyt liittyvät jalkaterän toimintoihin, lihastasapainoon ja lihasvoimaan. Jos jalkaterän pienten lihasten toiminta on epätasapainossa esimerkiksi levinneen päkiän, vaivaisenluun tai lihasten käyttämättömyyden takia, riski vasaravarvas-asentomuutokselle suurenee. Kun lihaksen toimivat epätasapainossa, silloin varpaiden koukistajalihakset jalan selän puolella ovat yliaktiiviset ja vetävät varpaita koukkuun. Vastavoima, eli varpaiden ojentajalihakset jalkapohjan puolella, ovat heikot ja antavat myöden koukistajien ylivoimalle.

Rakenteellisista syistä korkea kaarinen jalkaterä ja jäykkä nilkka johtavat usein vasaravarpaiden kehittymiseen. Tämän kaltaisissa jalkavaivoissa jalkaterän toiminnot ovat muuttuneet ja muutokset voivat näkyä vasaravarpaiden asentomuutoksina. Hankitut syyt

ovat ulkoisia tekijöitä, jotka muuttavat varpaiden asentoa. Näitä ovat pitkään jatkuva korkeakorkoisten tai pienten kenkien tai sukkien käyttö. Vasaravarpaita esiintyy myös joidenkin pitkäaikaisten sairauksien yhteydessä, kuten esimerkiksi diabeteksen, nivelreuman, psoriaasin sekä joidenkin neurologisten sairauksien yhteydessä.

Ennaltaehkäisy

Oikean kokoisten sukkien ja kenkien käyttö on yksi keskeinen vasaravarvas-asentomuutosta ennaltaehkäisevä tekijä. Sukat eivät saa puristaa varpaita kasaan ja kengissä tulee olla vähintään yksi senttimetri tyhjää tilaa pisimmän varpaan päässä. Myös kengän leveys ja laajuus tulee olla sopivat, jotta varpaat eivät osu kengän kärkeen tai puristu kasaan. Riittävän tilava kenkä vähentää varpaisiin kohdistuvaa painetta ja kitkaa ja antaa varpaille mahdollisuuden liikkua vapaammin.

Jalkaterän pienten lihasten aktivointi harjoitteilla on tärkeää jalkaterän lihastasapainon ylläpitämiseksi. Myös kävely paljain jaloin tai paljasjalkakengillä aktivoivat jalkaterän lihaksia edistäen niiden vahvistumista.

Itsehoito

Itsehoidossa on tärkeää pitää vasaravarpaan nivelet liikkuvina. Tähän yksi hoitovaihtoehto, kuten ennaltaehkäisyssäkin, on pyrkiä lisäämään jalkaterien pienten lihasten voimaa ja nivelten liikkuvuutta. Kireitä lihaksia ja jänteitä voi hieroa ja venytellä, jolloin pyritään edistämään lihasten elastisuutta. Lisäksi pienillä harjoitteilla voidaan lisätä jalkaterien pienten lihasten voimaa ja liikkuvuutta. Pienten lihasten voimaa voi harjoittaa, esimerkiksi laittamalla

päkiän alle puolikkaan tennispallon ja painamalla varpaita sitä vasten. Sopiva toistojen määrä on kymmenen ja niitä tehdään kolme sarjaa. Tämänkaltaista harjoitetta voi tehdä päivittäin.

Koukistunutta varvasta on hyvä suojata hankaukselta, jotta känsiä tai kovettumia ei synny ihoon. Vasaravarvas suojataan apteekista saatavilla geelivuoratulla tai superlon -materiaalista valmistetulla suojaputkella. Myös pehmeillä, saumattomilla, ja riittävän tilavilla sukilla voidaan suojata varpaiden ihoa.

Varpaiden oikaisijat voivat auttaa pitämään varpaat oikeassa asennossa ja estämään niiden koukistumisen. Pehmusteet ja suojat suojaavat varpaita hiertymiltä ja vähentävät kipua. Yksilölliset silikoni -materiaalista valmistetut ortoosit on suunniteltu varpaiden asennon korjaamiseen, ja ne auttavat suojaamaan varpaita hankaukselta (kuva 2). Ne myös keventävät asentomuutosta auttaen mahdollisesti kipuun ja paineeseen.

Jalkaterien ja varpaiden rasvaaminen on hyödyllinen lisä vasaravarpaiden hoidossa, vaikka se ei ratkaise itse asentomuutosta. Vasaravarpaisiin liittyvä jatkuva hankaus ja paine voivat aiheuttaa ihon kuivumista ja halkeilua. Kosteuttavien voiteiden, kuten paksujen jalkavoiteiden tai öljyjen, käyttö auttaa pitämään ihon pehmeänä ja joustavana, mikä vähentää hiertymien ja rakkojen muodostumista. Rasvaaminen voi luoda suojakerroksen ihon pinnalle, mikä vähentää kitkaa ja ehkäisee siten kovettumien, rakkojen ja hiertymien syntymistä. Liika rasva kannattaa pyyhkäistä lopuksi pois varvasväleistä, jotta varvasvälit eivät pääse hautumaan liiaksi.

Milloin ammattilaisen vastaanotolle?

Vasaravarvas -asentomuutoksen takia ei ole tarpeen rajoittaa tavanomaista arkielämää. Vaikka vasaravarvas ei haittaisi päivittäistä elämää, on hyvä tarkkailla varpaan tilannetta ja suojata ihoa pehmusteilla tai ihoa rasvaamalla. Vasaravarpaiden säännöllinen hoitaminen on tärkeää erilaisten iho-ongelmien kuten kovettumien ja känsien, sekä mahdollisten nivelkipujen ennaltaehkäisemiseksi.

Ammattilaisen apua vasaravarpaiden hoidossa tarvitaan erityisesti silloin, kun kipu ja muut oireet ovat voimakkaita, itsehoitomenetelmät eivät auta, tai kun esiintyy merkittäviä ihon ja kynsien ongelmia tai tulehduksia. Hoitamaton vasaravarvas voi olla kivulias, vaikeuttaen kävelyä sekä päivittäisiä toimintoja. Tällöin on syytä hakeutua esimerkiksi jalkaterapeutin vastaanotolle.

Jalkaterapeutti tutkii alaraajojen toiminnot ja suunnittelee vasaraparpaiden asianmukaisen hoidon tutkimuksen perusteella. Hoitomahdollisuuksia ovat yksilöllinen puettava varpaiden oikaisija, jalkaterän ja alaraajan toimintaa ohjaavat pohjalliset, passiivinen nivelten mobilisointi tai toiminnalliset varpaiden ja jalkaterän liikeharjoitteet.

Kuva 1. Vasaravarvas asentomuutos useassa varpaassa.

Kuva 2. Silikoni -materiaalista valmistettu varpaiden asentoa korjaava oikaisija.

Jos vasaravarpaiden vuoksi iho tai kynnet vaurioituvat, syntyy haavoja, hiertymiä, rakkoja tai kynsiongelmia, kuten sisään kasvaneita kynsiä, jalkaterapeutti voi tarjota hoitoa ja suojatoimenpiteitä myös näille. Mikäli varpaassa esiintyy merkkejä tulehduksesta tai infektiosta, kuten punoitusta, turvotusta tai kuumotusta, suositellaan kääntymistä lääkärin puoleen.

Jalkahoitola ja jalkojenhoidon erikoisliike

Oikean kokoiset ja oikein puetut tukisukat!

Parasta jaloillesi!

Sigvaris ja Lymed hoitosukat ja -hihat

Hyvä valikoima jalkojen hoitotuotteita sekä ihonsuojaus- ja varpaiden asentovirheitä korjaavia tuotteita. Humalistonkatu 18, Turku puh. 045 8611509 www.kinttupiste.fi

Opastamme sinua sukan valinnassa ja pukemisessa.

Ilta Tempurin kanssa

Keskiviikkona 23.10. klo 18-20

Tempur Brand Storessa, Eerikinkatu 9, Turku

Luento: Uni ja aivoterveys, Fysioterapeutti & KNA

Jaana Heinilä

Tempuriin tutustuminen ja tuotteiden kokeilu yhdessä asiantuntijoiden kanssa

Tarjolla pientä purtavaa.

Ilmoittautumiset 16.10. mennessä yhdistyksen toimistoon.

Vierailu Kinttupisteeseen

Torstaina 24.10. klo 18-20, Humalistonkatu 18

Tule tutustumaan Kinttupisteen toimintaan. Illan aikana kuulemme lisää Kinttupisteen toiminnasta sekä saamme tietoa tarjolla olevasta tuotevalikoimasta, kuten tukisukista (esimerkiksi Lymed-tuotteista).

Ilmoittautumiset 17.10. mennessä yhdistyksen toimistoon.

TAPAHTUMAKALENTERI

Syksy 2024

Lisätietoja tapahtumista voit tiedustella toimistolta. Ohjelma täydentyy ja tarkentuu syksyn aikana, joten kannattaa seurata yhdistyksen kotisivuja, Facebookia ja lehtien yhdistyspalstoja. Tiedotamme tapahtumista myös kuukausittaisessa sähköpostitiedotteessamme.

Tapahtumat ovat maksuttomia, ellei toisin mainita.

Tapahtumiin ei ole ennakkoilmoittautumista, ellei sitä ole erikseen mainittu. *-merkittyihin tapahtumiin voi osallistua myös etäyhteydellä ottamalla yhteyttä toimistoon ennen tapahtumaa.

TOIMISTO

Puh. 040 351 3833 toimisto@nivelposti.fi www.nivelposti.fi

Aukioloajat elo-joulukuussa

Ma – To klo 10–13

Lisäksi joka kuukaudenn 1. maanantai olemme auki klo 16–18

Toimisto on suljettu arkipyhinä sekä joulutauon ajan 20.12.2024–1.1.2025

Aukioloajat koskevat sekä käyntejä toimistolla että puhelinsoittoja. Palvelemme joustavasti mahdollisuuksien mukaan myös aukioloaikojen ulkopuolella – ota yhteyttä, niin sovitaan sopiva aika asioinnille.

HUOM! Tapahtumat yhdistyksen toimitilassa, Lonttistentie 9 B (käynti Helsinginkadun puolelta) ellei toisin mainita.

SYYSKUU

Ma 2.9. klo 16.30 Maanantain vertaisilta: Fasciahoidot. Fysioterapeutti Hanna Malmi HMfysiosta alustaa aiheesta. * Ti 3.9. klo 13.00–14.30 Raision ja Naantalin Nivelkerho, Raision srk-talo, Kirkkoherrankuja 2. Lonkan ja pakaran alueen toiminnallisia harjoitteita sekä keskustelua nivelrikosta, mukana ft Ina Vihilehti.

Ke 4.9. klo 18.00–19.45 Yhteislaulut, Happy House, Ursininkatu 11, Tku. hinta 2 € sis. kahvit.

Ma 9.9. klo 17 Maanantain vertaisryhmä: Mysteerikätköt geokätköilyssä -vinkkejä ja neuvoja mysteerikätköjen ratkontaan. Mukaan voi ottaa oman läppärin/tabletin puhelimen lisäksi. Käydään läpi sovelluksia, joiden avulla mysteereitä voi itse lähteä ratkomaan. ilm. viim. 5.9.

Ti 10.9. Kaarinan Nivelkerho klo 17–19. Kansalaistoiminnan keskus Puntari, Puntarikatu 1, Kaarina. selän ja niskan ongelmat sekä niiden ennaltaehkäisy, vieraana ft Samu Kaukoranta Relaxionista.

Ke 11.9. klo 15.00–16.30 Härkätien Nivelkerho Palvelukeskus Ruskassa, Hyvättyläntie 9, Lieto. Aihe Huoli-ilmoitus lähimmäisestä. Vieraana Annikka Salonen, Fingerroosin säätiöstä.

Ke 11.9. klo 17.00 Lukupiiri. Luettavana kirjana Harri Tuomelan Rantahuvilan naiset. *

To 12.9. Skipbokaffet klo 10–12. Vapaamuotoista jutustelua, Skip-Bon pelailua ja kahvittelua yhdessä.

Ma 16.9. klo 14.30 Asumisen ennakointi ja esteettömyyskorjaukset, Lehmusvalkaman hyvinvointikeskuksen salissa, Karviaiskatu 7, Tku. Asiaa mm. kodin muutostöistä, mistä hakea tukea, kenen vastuulla ja miten prosessi etenee. Käytännön tietoa, jos kotiin tarvitaan muutoksia esimerkiksi leikkauksen jälkeen tai kotia halutaan tehdä esteettömämmäksi. Asiasta kertoo Maura Tiuraniemi, Hanketyöntekijä – Ikä- ja muistiystävällinen taloyhtiö, Kiinteistöliitto Varsinais-Suomi.

Ti 17.9. Niveltreffit klo 13 Turun Kellariravintolassa, Linnankatu 16. Omakustanteinen keittolounas 10,7 € tai lounasbuffet 13,5 € hintaan. Alussa kuulemme myös tarinaa Kellariravintolan historiasta.

Ke 18.9. klo 11.00-17.00 Seniorikansalaisten hyvinvointi ja palvelut, Wirmon Marttojen Tuuki -tila, Vehmaantie 111, Mynämäki. Päivän järjestävät yhteistyössä Turun Seudun Nivelyhdistys ry, Avustajakeskus, TULE-tietokeskus, Varsinais-Suomen Muistiyhdistys ry ja Muistiluotsi, Turun Lähimmäispalveluyhdistys ry ja Liikkuva resurssikeskus, Turun Seudun Omaishoitajat ry.

Päivän ohjelma

11.00 Tapahtuman avaus

11.10 Ikäystävällinen liikuntaharjoitus, Susanna Suominen

11.45 Terveellinen välipala

12.00-15.30 Esittelypisteet avoinna

13.30 Luento: Ikääntyvien proteiinin saanti, Jenna Laakso

14.10 Luento: Keinoja parempaan uneen, Ina Vihilehti

15.00 Iltapäiväkahvit ja ohjelma ryhmissä: Sippe-hyvinvointikutsut ja Nivelverkko-luentokerho

17.00 Tapahtuma päättyy

To 19.9. klo 16 Adventure Lab -tutuksi, tapaaminen Barkerin puiston vieressä, Läntinen rantakatu 40. Tutustutaan Adventures Lab-sovellukseen, joka on geokätköilyn suosittu muoto ja antaa tietoa mielenkiintoisista kohteista pienten paikan päällä tehtävien avulla.. Ylle kannattaa varata hyvät kengät ja säänmukainen varustus. Mukaan tarvitaan puhelin, jossa sovellus ladattuna. Ilm. viim. 12.9. mennessä, lisätietoja tmsto.

Ma 23.9. klo 17 Maanantain vertaisilta: Tekonivelleikkaus päiväkirurgisena Tyks Ortossa. Vierailijoina ovat endoproteesihoitaja Hanna Metsämäki sekä fysioterapeutti Lotta Holm.

Ti 24.9. klo 16.30-18 Minäkö vapaaehtoiseksi -ilta? Tule kuulemaan lisää vapaaehtoistoiminnasta yhdistyksessä. Tällä hetkellä vapaaehtoisia kaivataan mm. lehtitoimikuntaan ja luentokerhojen ohjaajiksi. Myös muihin toimikuntiin ja yhdistysesittelijöiksi otamme mielellämme uusia mukaan. ilm. viim. 24.2. kahvitarjoilu.

Ke 25.09. klo 10-12 Uusi jäsen tai muutoin toiminnastamme kiinnostunut, tule tutustumaan meihin Kosken leipomon kabinettiin Yliopistonkatu 15. Kosken Leipomo tarjoaa kahvit.

Ke 25.9. Jäsenretki Espooseen ja Helsinkiin, kohteina Lumenen tehtaanmyymälä, modernin taiteen museo Emma ja eduskunta. Menomatkalla lounaspysähdys Suomusjärven Helinässä. Espoossa kohteina Lumene ja Emma. Eduskunnassa vierailu klo 16-18 sisältää opastetun kierroksen ja kahvit Eeva-Johanna Elorannan kanssa. Lähtö klo 10 Turusta. Kyytiin pääsee myös Piispanristin ja Kaarinan pikavuoropysäkeiltä. Turkuun saavutaan noin kello 20.15. Hinta 55 € ja museokortilla 45 € sis. matkat, lounas, museolippu Ilm. viim. 12.9.

To 26.9. klo 17-18.30 Unikoulu, lääkkeettömillä unenhoitokeinoilla parempaan uneen –kurssi. Ryhmämuotoinen Unikoulu koostuu neljästä tapaamiskerrasta, joiden aikana käsitellään unta ja vireyttä häiritseviä tekijöitä, pohditaan keinoja vaikuttaa omaan uneen ja päiväaikaiseen vireyteen sekä pyritään saamaan aikaan muutos kohti parempaa unta. Kurssi kokoontuu TULE-tietokeskuksen tiloissa, Humalistonkatu 10, Turku. Huom! Kurssi on neljäosainen, muut päivät ovat 3.10., 10.10. ja 17.10. Ilm. 18.9. mennessä.

Tors 26.9. kl 17.00 Artroskvällen. Ann-Christine Friberg från ÅUCS-orto berättar om vårdvägen för artrospatienter, kirurgiska ingrepp på Orto, och Varhas svenskspråkiga tjänster i Åbonejden. På evenemanget får du rikligt med information om vad du kan förvänta dig av vården, samt information om hur man navigerar i hälsovårdssystemet på svenska. I kulturcenter Luckans utrymmen på Auragatan 1. Ingen förhandsanmälan.

LOKAKUU

Ti 1.10. klo 14.00-16.00 Veto- ja pitovoimaa yhdistyksiin -webinaari, Viisi vinkkiä vapaaehtoistoimintaan. Turun Seudun Nivelyhdistys järjestää webinaarin yhteistyössä Kansalaisareenan, Luustoliiton, Suomen Kivun sekä Suomen Nivelyhdistyksen kanssa. Koko ohjelma ja ilmoittautumislinkki osoitteessa www.nivelposti.fi/toimintaa/ vapaaehtoistoiminta/. Ilm.viim. 22.9. Ke 2.10. klo 18.00–19.45 Yhteislaulut, Happy House, Ursininkatu 11, Tku. hinta 2 € sis. kahvit.

Ma-ti 7.–8.10. Nivelyhdistyksen syysristeily M/S Viking Gracen iltalähdöllä. Musiikkiohjelmaa, visailuja, hyvää ruokaa ja mukavaa yhdessäoloa! Hinta jäsenille 105–237 €. Myös muut kuin jäsenet tervetulleita! Hinta sis. risteilyohjelman, meriaamiaisen (Premium-hyttiluokassa Premium-aamiainen), buffet-päivällisen sekä ohjelman kokoustilassa. Eri hyttiluokkia on rajattu määrä ja ne varataan ilmoittautumisjärjestyksessä. Katso tarkemmat tiedot sivulta 5. Ilm. viim. 3.9.

Ti 8.10. klo 13.00–14.30 Raision Nivelkerho, Raision srk-talo, Kirkkoherrankuja 2. Varmuutta verkkoon, turvallinen pankkiasiointi verkossa, asiakkuusneuvoja Outi Rintanen OP Turun seudusta.

TAPAHTUMAKALENTERI

Ti 8.10. klo 17.00–19.00 Kaarinan Nivelkerho Kansalaistoiminnan keskus Puntari, Puntarikatu 1. Aiheena muistiongelmat. Vieraana muistikoordinaattori Tiiu Uusiaho. Ke 9.10. klo 16.30 Tarinain ilta. Tule kuuntelemaan lyhyitä novelleja sekä runoja sekä keskustelemaan niistä. Halutessasi voit ottaa mukaan vaikka käsityön, jota voit juttelun ja kuuntelun ohessa tehdä. Paikan päällä kahvitarjoilu. Ilta on avoin kaikille kiinnostuneille.

Ons 9.10. kl. 17 Artroskvällen: Artros, livskvalitet och psykiskt välbefinnande. Föreläsning av sjuksköterska och blivande kognitiv beteendeterapeut Petra Toivonen som har 10 års arbetserfarenhet inom specialsjukvården. Följs av kamratdiskussion. Hanna Okodugha från Ledförenigen och Satu Gustafsson från reumaföreningen leder diskussionen om mental hälsa hos långtidssjuka. På Folkhälsans kvartersklubb, Henriksgatan 9. Ingen förhandsanmälan.

To 10.10. klo 11.30-17.00 avoimien ovien päivä. Ks.ohjelma s.3.

To 10.10. klo 17.30 Luento: Positiivinen vanheneminen. Yleislääketieteen ja geriatrian erikoislääkäri Sirkka-Liisa Kivelä. Turun ammattikorkeakoulun Sali A173, Lemminkäisenkatu 30, Turku. Luento taltioidaan.

Ma 14.10. klo 17.00 Maanantain vertaisryhmässä aiheena lonkan ja pakaran alueen kivut. Aiheesta alustaa ft OMT Arto Jokela. *

Ti 15.10. Niveltreffit klo 13 Turun Kellariravintolassa, Linnankatu 16. Omakustanteinen keittolounas 10,7 € tai lounasbuffet 13,5 € hintaan.

Ke 16.10. klo 15.00–16.30 Härkätien Nivelkerho Palvelukeskus Ruskassa, Hyvättyläntie 9. Aiheena visailuja ja aivojumppaa.

Ke 16.10. Lukupiiri klo 17. Luettavana kirjana Frans Emil Sillanpää: Silja -nuorena nukkunut.*

Ma 21.10. klo 13.00–14.30 lonkan ja polven nivelrikon vertaisryhmä. *

Ti 22.10. klo 17.00–19.00 Ruotsinkielinen ensitietoilta / Infokväll om ledprotesoperationer. Infokvällen leds av fysioterapeuten Sabina Renwall. Anmäl dig senast 17.10. *

Ke 23.10. klo 18.00-20.00 ilta Tempurin kanssa, Tempur Brand Storessa, Eerikinkatu 9. Ohjelmassa luento: Uni ja aivoterveys, ft, KNA Jaana Heinilä sekä tutustuminen Tempuriin ja tuotteiden kokeilu yhdessä asiantuntijoiden kanssa. Tarjolla pientä purtavaa. Ilm. viim. 16.10.

To 24.10. klo 10.00–12.00 Skipbokaffet. Keskustelua, Skip-Bon pelailua ja kahvittelua yhdessä.

To 24.10. klo 18.00 Tutustuminen Kinttupisteen toimintaan, Humalistonkatu 18, Tku. Illan aikana kuulemme lisää Kinttupisteen toiminnasta sekä saamme tietoa tarjolla olevasta tuotevalikoimasta, kuten tukisukista (esimerkiksi Lymed-tuotteista). Mukaan mahtuu 15 kiinnostunutta. Ilm. viim. 17.10. mennessä.

La 26.10. Jäsenretki Tampereen Työväen Teatteriin: Nämä onnemme päivät. Koskettava näytelmä ystävyydestä ja elämänhalusta. Näytelmässä 74-vuotias Séan ja 62-vuotias Patricia tapaavat hoivakodissa ja elämäntarinoidensa johdattelemina heidän välilleen kehittyy lämmin ihmissuhde. Menomatkalla lounas Sastamalan Kiskokabinetissa ja paluumatkalla pysähdys Urjalan makeistukussa. Lähtö Turusta klo 9, Liedon kirkolta 9.30 ja sen jälk. Auran ABC. paluu n. 18.15. Retken hinta 80 € sis. kuljetuksen, teatterilipun, lounaan menomatkalla. Ilm. viim. 12.9. klo 13. Ma–to 28.–31.10. Hyvinvointiaiheinen syysleiri ”Metsän siimeksessä” Sinapin leirikeskuksessa Kakskerrassa. Majoitus 2 hengen huoneissa. Hinta 133 € (sis. ruoat, ohjelman ja liinavaatteet) / leiri tai 33 € (sis. ruoat ja ohjelman) / ti 29.10. osallistuminen. Lisätiedot ja ilmoittautumisohjeet ovat lehden sivulla 25 ja www.nivelposti.fi/vertaisryhmat. Huom! Muista perua ilmoittautuminen, jos sinulle tulee este. Peruuttamatta jätetyistä ilmoittautumisista peritään 50 € maksu.

To 31.10. klo 17.00-19.00 Ensitietoilta. Vetäjänä ft Sanna Niemi. Ensitietoilta on tarkoitettu tekonivelleikkaukseen meneville, sitä harkitseville ja heidän läheisilleen. Ilm. viim. 29.10. *

Liiku lähellä

Liiku lähellä -toiminta on rentoa ohjattua liikkumista ja yhdessäoloa Sinulle yli 65-vuotias, joka haluat tavata asuinalueesi muita ihmisiä ja saada uutta innostavaa sisältöä arkeesi.

Lonttisten kävelyryhmä Annelin ohjaamana jatkuu 5.9. alkaen torstaisin klo 13.00.

Katso kaikki ryhmät: www.turku.fi/liikulahella

Ma 4.11. klo 17.00 Apua alaraajaongelmiin. Aiheesta luennoi ft Askelklinikalta. *

Ti 5.11. klo 13.00–14.30 Raision ja Naantalin Nivelkerho, Raision srk-talon kahvio, Kirkkoherrankuja 2. Aiheena luomihuoli, sairaanhoitaja Eija Säteri Lounais-Suomen Syöpäyhdistyksestä.

Ke 6.11. klo 18.00–19.45 Yhteislaulut, Happy House, Ursininkatu 11, Tku. hinta 2 € sis. kahvit.

Ke 6.11. klo 17.30 Luento: Syödäkö vai eikö syödä?. Ravitsemustieteen dosentti Hanna Lagström. Tyks T-sairaalan Risto Lahesmaa -salissa, Hämeentie 11, Turku. Luento taltioidaan.

Ma 11.11. klo16.30 Tekonivelleikkaukseen menevien ja sitä suunnittelevien vertaisilta. Lähestyykö nivelleikkaus ja kaipaat siihen vertaistukea ja neuvoa muilta? Ryhmä on tarkoitettu leikkausaikaa jonottaville tai niille, jotka vielä miettivät leikkaukseen menoa. Iltaa ohjaa vapaaehtoinen, jolla on kokemusta tekonivelleikkauksesta. *

Ti 12.11. klo 17.00–19.00 Kaarinan Nivelkerho Kansalaistoiminnan keskus Puntari, Puntarikatu 1, Kaarina. Fasciamethod joko istuen tai seisten. Ylle rennot vaatteet. Tunnin vetää ft Hanna Pihlajamaa. Lopuksi kahvitarjoilu.

Ke 13.11. klo 10-12 Uusi jäsen tai muutoin toiminnastamme kiinnostunut, tule tutustumaan meihin Kosken leipomon kabinettiin Yliopistonkatu 15. Kosken Leipomo tarjoaa kahvit.

Ke 13.11. klo 15.00–16.30 Härkätien Nivelkerho kokoontuu Palvelukeskus Ruska, Hyvättyläntie 9. Aiheena Sippe-hyvinvointikutsut. Ohjaajina Seija & Arja.

Ke 13.11. klo 17.00 Lukupiiri. Luettavana kirjana Khaled Hosseinin Leijapoika. *

To 14.11. klo 10.00–12.00 Skipbokaffet. Vapaamuotoista jutustelua, Skip-Bon pelailua ja kahvittelua yhdessä.

Mån 18.11. kl. 16.30 Artroskvällen: Artros ur ett fysioterapeutiskt perspektiv. Pedagogisk fysioterapeut Milka Reponen från Åbo yrkeshögskola berättar om fysioterapins roll i vården av artros, vad forskningen säger om fysioterapins effektivitet, och om vad man kan undersöka på Åbo AMK:s motionslaboratorium. Personal från TULE-infocentralen bjuder på avgiftsfria muskuloskeletala mätningar. I föreningens lokaler på Lonttisvägen 9 (Ingång via Helsingforsgatan). Ingen förhandsanmälan.

TAPAHTUMAKALENTERI

Ti 19.11. klo 13.00 Niveltreffit Turun Kellariravintolassa, Linnankatu 16. Omakustanteinen keittolounas 10,7 € tai lounasbuffet 13,5 € hintaan.

Ti 19.11. ja 26.11. klo 13.-14.30 Kahden kerran vertaisryhmä, aiheena sormien nivelrikko. Ryhmää vetää ft Ina Vihilehti ja ryhmässä saa tietoa, vertaistukea sekä liikeharjoitteita. Ilm. viim. 12.11. Mukaan otetaan 10 osallistujaa. Etusijalla ovat ne, jotka pääsevät kummallakin kerralla mukaan. Ti 19.11. klo 18.00 Luento: Jalkaterän nivelrikko. Ortopedian ja traumatologian erikoislääkäri Tuuli Erjanti. Turun pääkirjaston Studio-salissa, Linnankatu 2. Luento taltioidaan.

Ke 20.11. Lähiseuturetki: Avainteatterin näytös Rahaa ja rakkautta sekä lounas Hugossa.

Lounas klo 11.30 lounas ja teatteri klo 13. Avainteatteri on Suomen vanhimpia vammaisteattereita. Vaikka osalla harrastajista on liikuntarajoitteita, aktivoivat viikoittaiset tapaamiset lähtemään liikkeelle ja tulemaan teatterin harjoituksiin. Teatterinäytöksen jälkeen tarjotaan kahvit. Tapaamme lounaan merkeissä Kortteliravintola Hugossa, Stålarminkatu 2 ja jatkamme siitä yhdessä Lounais-Suomen neuroyhdistyksen tiloihin teatteriin, Itäinen Pitkäkatu 68. Retken hinta 15 € sis. teatterilipun ja kahvit. Lounas omakustanteinen. Ilm. viim. 6.11.

Ma 25.11. klo 17.00-19.00 Ensitietoilta. Vetäjänä ft Sanna Niemi. Ensitietoilta on tarkoitettu tekonivelleikkaukseen meneville, sitä harkitseville ja heidän läheisilleen. Ilm. viim. 21.11. *

Ti 26.11. klo 18.00 Luento: Minä, rennosti tasapainossa. Ft, TtM Taina Vahtera. Kaarina-salissa, Lautakunnankatu 1, Kaarina. Luennolla käsitellään aihetta mitä tasapaino on? Luvassa myös käytännön harjoitteita oman tasapainon kehittämiseen. Ke 27.11. klo 16.30 Joulutarinoita ja -korttiaskartelua. Tule tekemään joulukortteja itsellesi tai hyvän mielen joulukorttitempaukseen. Korttien tekemisen lomassa kuunnellaan jouluisia kertomuksia, keskustellaan niistä sekä nautitaan glögistä. Ilm. viim. 25.11. mennessä.

To 28.11. Yhdistyksen sääntömääräinen syyskokous klo 17. Esillä sääntömääräiset asiat. Kahvitarjoilu.

JOULUKUU

Ti 3.12. klo 13.00–14.30 Raision ja Naantalin Nivelkerho, Raision srk-talo, Kirkkoherrankuja 2. Tuolijumppaa sekä joulubingoa. Tuolijumpan ohjaa ft Paula Juvonen.

Ma 3.12. klo 17.00–19.00 Ruotsinkielinen ensitietoilta / Infokväll om ledprotesoperationer. Infokvällen leds av fysioterapeuten Sabina Renwall. Anmäl dig senast 28.11.*

Ke 4.12. klo 18.00–19.45 Yhteislaulut, Happy House, Ursininkatu 11, Tku. hinta 2 € sis. kahvit.

Ti 10.12. klo 17.00–19.00 Kaarinan Nivelkerho Kansalaistoiminnan keskus Puntari, Puntarikatu 1, Kaarina. Ohjelmassa visailua sekä perinteinen joulupuuro.

Ke 11.12. klo 15.00–16.30 Härkätien Nivelkerho kokoontuu Palvelukeskus Ruska, Hyvättyläntie 9. Aiheena Olkapään ja sormien toiminnallisia harjoitteita. Ohjaamassa ft Ina Vihilehti. Kahvitarjoilu.

Ke 11.12. klo 17.00 Lukupiiri. Luettavana kirjana Gianni Sollanin Ystävyyden oppimäärä. *

To 12.12. klo 10.00–12.00 Skipbokaffet. Vapaamuotoista jutustelua, Skip-Bon pelailua ja kahvittelua yhdessä.

Pe 13.12. Jäsenten jouluretki Raumalle. Lähtö klo 8.30 Turusta, 8.45 Raisiosta. Ensimmäinen pysähdys Mynämäellä Veraisten leipomossa, jossa mahd. omakustanteisiin kahveihin ja leipomo-ostoksiin. Rauman Lapissa Fredmanin (ent. Eskimo) tehtaanmyymälä sekä Kivikylän teht.myymälässä lounas ja ostosmahdollisuudet. Raumalla tunnin mittainen opastus bussissa ja sen jälkeen kaksi tuntia tutustumisaikaa Vanhan Rauman tunnelmaan ja joulumarkkinoihin. Takaisin Turussa olemme noin klo 18.00. Hinta 45 € sis. matkat, lounaan ja opastuksen. Ilm. viim. 28.11.

Ti 17.12. klo 13.00 Niveltreffit Turun Kellariravintolassa, Linnankatu 16. Omakustanteinen keittolounas 10,7 € tai lounasbuffet 13,5 € hintaan.

Tule mukaan liikkumaan! Liikuntaryhmät ovat avoimia kaikille. Kaikkiin liikuntaryhmiin, joissa on tilaa, voi ilmoittautua mukaan myös kesken kauden. Lyhyempi kausi huomioidaan osallistumismaksussa. Osallistumismaksut laskutetaan kausimaksuina. Turun allasjumpat maksavat 5,3 ja 7,3 euroa/kerta ja muut ryhmät 5 ja 6 euroa/ kerta. Kuntosalivuorojen hinta on 3 euroa/ kerta. Lisäksi on maksuttomia kuntosalivuoroja.

Lisätietoja vuoroista ja vapaista paikoista saat toimistolta tai verkkosivuiltamme. Liikuntaryhmien osallistumismaksuja voi maksaa myös liikuntaeduilla: Smartumin liikunta – ja kulttuurisetelit, e-Passi, Edenred ja TYKY-kuntosetelit.

Huom! Osalla ryhmistä on tauko syyslomaviikolla 16.-22.10. ja mahdollinen taukoviikko mainittu ryhmän tiedoissa. Liikuntaryhmiä ei järjestetä itsenäisyyspäivänä 6.12.

Ryhmien kevät- ja syyskauteen ilmoittaudutaan erikseen. Ryhmissä jatkavilla on mahdollisuus varata jatkopaikka omaan ryhmäänsä ennen ilmoittautumisajan alkamista.

Lisätietoja vuoroista ja vapaista paikoista saat toimistolta tai verkkosivuiltamme.

Allasjumppa, Turku

Kylpylähotelli Caribia, Kongressikuja 1

Ti 3.9.-10.12. (14 kertaa) klo 14-14.45 ja klo 18.00-18.45, ke 4.9.-11.12. (14 kertaa) klo 19-19.45 (Huom! Syyslomaviikolla 15.10. ja 16.10. ei allasjumppia. Syyskausi 102,20 €. Vaihtuva ohjaaja.

Lehmusvalkaman Hyvinvointikeskus, Karviaiskatu 7

Ke 4.9.-11.12. (15 kertaa) klo 10.1511.00, syyskauden hinta 109,50 €.

Pe 6.9.-13.12. pl. itsenäisyyspäivä 6.12. (14 kertaa) klo 9.45-10.30, syyskauden hinta 102,20 €. Ohjaaja Matti Pakalén. Lehmusvalkamassa voidaan käynnistää lisäryhmiä. Seuraathan tiedotustamme! Palvelutalo Esikko, Uittamontie 7

Pe 6.9.-13.12. pl. itsenäisyyspäivä 6.12. (14 kertaa) klo 13.15-13.45, klo 13.55-14.40 ja klo 14.50-15.35. Syyskausi 30min 74,20€, 45 min 102,20€. Ohjaaja Annemari Takkula.

Petreliuksen uimahalli, Ruiskatu 2

Ma 2.9.-9.12. klo 10.30-11.15 ja ti 3.9.-10.12. klo 13.10-13.55. Syyskauden hinta 109,50 € (15 kertaa).

Ohjaaja Carola Nylund.

LIIKUNTAKALENTERI

Puolalankatu 5 (Sammontalo/IF:in allas)

Ma 2.9.-9.12. (15 kertaa)

klo 12.10-12.40 ja klo 12.45-13.30. Syyskausi 30 min 79,50 €, 45 min 109,50 €. Huom! Ei saunomismahdollisuutta.

Ohjaaja Carola Nylund. Ruissalon Kylpylä, Ruissalon puistotie 640 Ti 3.9.-10.12. (15 kertaa) klo 11.30-12.15 ja klo 12.30-13.15 sekä to 5.9.-12.12. (15 kertaa) klo 12.1513.00, syyskausi 109,50 €. Pe 6.9.-13.12. pl. itsenäisyyspäivä 6.12. (14 kertaa) klo 11.30-12, syyskausi 74,20 €. Vaihtuva ohjaaja.

Allasjumppa Raisio

Uintikeskus Ulpukka, Eeronkuja 5.

Ma 2.9.-9.12. (15 kertaa) klo 14–14.45 ja klo 14.45–15.30. Syyskausi 75€ +Ulpukan norm. pääsymaksu.

Ohjaaja Milla Laurila.

Allasjumppa Naantali

Aurinkosäätiön allas, Myllynkiventie 5. Ti 3.9.-10.12. (14 kertaa) klo 13.50-14.35 ja klo 14.45-15.30, Syyskausi 102,2 €. Syyslomaviikolla 15.10. ei allasjumppia.

Ohjaaja Ella Lehto.

Asahi Kaarina

Ma 2.9.-9.12. (15 kertaa) klo 17-17.45, Valkeavuoren liikuntahallin pienempi sali, Veitenmäentie 29, Kaarina. Syyskausi 75 €.

Ohjaaja Risto Lehto.

Asahi Turku

Ke 4.9.-11.12. (15 kertaa)

klo 15.30-16.15, Ruusukorttelin Hyvinvointikeskus, Puistokatu 11, Turku. Syyskausi 75 €. Ohjaaja Risto Lehto. FasciaMethod Ruusukortteli

Ke 4.9.-11.12. (15 kertaa)

klo 16.45-17.45, Ruusukorttelin hyvinvointikeskus, Puistokatu 11, käynti Koulukadun puolelta. Syyskausi 90 €. Ohjaaja Hanna Pihlajamaa. FasciaMethod Gillesgården

To 5.9.-12.12. pl. 17.10. (14 kertaa) klo 17.30-18.30, Aurakatu 1G (sisäpihalla). Syyskausi 84 €. Ryhmän ohjaa avaa lukitun ulko-oven n. 15 min ennen alkua. Pukuhuonetilat ovat rajatut, tunnille kannattaa saapua jumppavaatteissa.

Pilates

Ti 10.9.-10.12. (13 kertaa) klo 17-17.45, Runosmäen monitoimitalo Riimi, Stoltinkatu 9. Syyskausi 65 €. Ohjaaja Ella Lehto. Syyslomaviikolla 15.10. ei harjoittelua.

Kuntosali/Impivaara

Syyskausi 3.9.-12.12. (15 kertaa). Yhdistyksen vakiovuorot omatoimiseen harjoitteluun tiistaisin klo 11-12 ja 13.15-14.15 sekä torstaisin klo 12.30-13.30 ja 13.3014.30. Tilauskuntosali Männistössä, Uimahallinpolku 4, 3. krs.

Syyskauden hinta 45 €, ei sisällä uintilippua. Kokoontuminen 10 min ennen tunnin alkua kassan edessä, missä vapaaehtoinen jakaa rannekkeet ja kirjaa osallistujat listaan.

Kuntosali/Ruusukortteli

Ma 2.9.-9.12. (15 kertaa) klo 16.0017.30, Ruusukorttelin Hyvinvointikeskus, Puistokatu 11 (käynti Koulukadun puolelta). Osallistujille maksuton. Omatoimiseen harjoitteluun, yhdistyksen vapaaeht. paikalla. Ei ennakkoilmoittautumista.

Kuntosali/Lehmusvalkama

Ti 3.9.-10.12. (15 kertaa) klo 17.30-19.00, Lehmusvalkaman Hyvinvointikeskus, Karviaiskatu 7. Osallistujille maksuton. Yhdistyksen vapaaehtoinen paikalla. Ei ennakkoilmoittautumista.

Folkhälsanin esteetön kuntosali

To 5.9.-12.12. (15 kertaa) klo 11-12 ja 12-13, Folkhälsanin palvelutalo, Luolavuorentie 7A. Sis.pääsyyn vaaditaan ovikoodi, jonka saat ilmoittautuessasi. Syyskauden hinta 45 €.

Kuntosali/Kaarinan visiitti

Kysy lisätietoja yhdistyksestä tai katso www.nivelposti.fi/liikunta/kuntosaliharjoittelu/

Tanssillinen jumppa

Ma 2.9.-9.12. (14 kertaa) klo 15.15-16.15 Ruusukorttelin Hyvinvointikeskus, Puistokatu 11. Syyskauden hinta 90 €. Ohjaaja Ilona Carlsson.

Jooga Turku

Ma 2.9.-9.12. (15 kertaa) klo 11–12, Lehmusvalkaman Hyvinvointikeskus, Karviaiskatu 7. Iso sali katutasossa. Syyskauden hinta 90 €. Ohjaaja Jenna Hakala.

Jooga Naantali

Ma 2.9.-9.12. (15 kertaa) klo 15–16, Naantalin Kesti-Maaria, Maariankatu 2. Syyskauden hinta 90 €. Ohjaaja Jenna Hakala. Äijäjooga

Ma 2.9.-9.12. (15 kertaa) klo 15–16, Lehmusvalkaman Hyvinvointikeskus, Karviaiskatu 7. Syyskauden hinta 90 €. Ohjaaja Jenna Hakala.

Huolehdi luomistasi

Jos kesäaurinko on hellekesänä polttanut pintasi useasti, on hyvä tarkkailla iholle ilmaantuvia luomia ja niiden muutoksia. Apua tarkkailuun voi kysyä Lounais-Suomen Syöpäyhdistyksen neuvontahoitajilta.

Kolme erilaista ihosyöpää

Yleisin ihosyöpä on tyvisolusyöpä eli basaliooma, jota esiintyy auringon UV-säteilylle altistuneilla alueilla. Tyvisolusyöpä kasvaa hitaasti ja lähettää harvoin etäpesäkkeitä. Se on yleinen yli 70-vuotiailla. Vuosittain sairastuu noin 9900 suomalaista, naisia hieman enemmän kuin miehiä.

Ihon sarveissolujen pahanlaatuinen kasvain, okasolusyöpä esiintyy valolle altistuneiden alueiden lisäksi kroonisten haavojen ja ärtyneiden arpien yhteydessä sekä limakalvojen rajoilla. Sitä edeltää usein aurinkokeratoosi. Okasolusyöpä on tyvisolusyöpää aggressiivisempi: se haavautuu aikaisemmin, kasvaa ja leviää syvempiin kudoksiin nopeammin ja lähettää joskus etäpesäkkeitä. Paikallisena todettaessa sen ennuste on hyvä. Okasolusyöpiä todetaan Suomessa vuosittain noin 1900 tapausta. Kolmanneksi yleisin ihosyöpä on muita vakavampi ihomelanooma, johon sairastui vuonna 2023 1839 suomalaista. Se lisääntyy voimakkaasti länsimaissa, mutta on ohuena todettaessa usein helpommin hoidettavissa. Riittävällä suojautumisella auringon UV-säteilyltä pystyttäisiin ehkäisemään neljä viidestä melanoomasta.

Melanoomaan sairastumisen riski on suurin niillä, joilla on helposti ja usein palanut vaalea iho, punainen tai vaalea tukka ja vaaleat silmät, paljon luomia ja pisamia tai suvussa on ollut melanoomaa.

Epäilyttävän iholuomen poistaa yleensä terveyskeskuslääkäri, yksityislääkäri tai työterveyslääkäri ja diagnoosin varmistaa patologi mikroskooppitutkimuksessa. Varsinaisen leikkauksen tekee plastiikkakirurgi Tyksissä.

Tarkkaile luomiasi

Luomien määrä vaihtelee eri ihmisillä. Runsasluomisen on syytä tarkkailla luomiensa kokoa, muotoa, väriä ja rajoja. Muutokset viestittävät siitä, että jotain on tapahtumassa. Jos muutoksia esiintyy, on hyvä käydä näyttämässä niitä asiantuntijoille.

VARO-sääntö on hyvä muistin tuki

V= väri muuttuu epätasaiseksi

A= luomen alueen halkaisija on yli kuusi millimetriä

R= reuna on epäsäännöllinen

O = osat ovat epäsymmetriset

Lääkäriin on asiaa, jos luomi kasvaa ja väri muuttuu nopeasti. Luomessa esiintyy verenvuotoa, pinta rikkoutuu ja on jatkuvasti rupinen eikä muutos tai haava parane. Iho hilseilee, punertaa tai on karkeapintainen ja luomi kutisee jatkuvasti häiritsevästi.

Hyvänlaatuisia luomia ovat ns. vanhuuden rasvaluomet (seborrooinen keratoosi), varsiluomet ja kirsikkaluomet, jotka ovat oikeastaan pieniä verisuoniperäisiä kasvaimia. Luomiseurannassa kätevä apu on kännykkäkamera. Ota kuvia luomen kehityksestä, laita luomen viereen vaikka viivotin, niin luomen muutosta on helppo seurata.

Suojaudu auringon UV-säteilyltä

Iho muuttuu ikääntyessä, se ohenee ja palaa herkemmin. Ihon palamista kannattaa välttää, sillä iho muistaa vanhat palamisensa, jolloin riski saada ihovaurioita kasvaa.

- Ongelmallista on se, että ihon palamisen vahingollisuutta ei aiemmin ole tunnettu. Nykyisin tiedetään, että auringolta kannattaa suojata sekä iho että silmät jo lapsena, kertoo neuvontahoitaja Eija Säteri Lounais-Suomen syöpäyhdistyksestä.

Viisas viihtyy varjossa, erityisesti kuumimmat aurinkotunnit klo 11-15, jolloin auringon UV-säteily on voimakkaimmillaan. Pään alue on hyvä suojata leveälierisellä aurinkohatulla ja käyttää kevyitä väljiä vaatteita, jotka suojaavat käsiä kyynärpäihin ja jalkoja polviin. Silmiä suojaavat aurinkolasit ovat tärkeät.

Riittävän suurikertoiminen aurinkovoide on tarpeen pidempään auringossa oleiltaessa. Suojakertoimen on hyvä olla vähintään 30, herkästi palavilla 50. Suojavoidetta on levitettävä jo ennen ulosmenoa alueille, joita vaatteet eivät suojaa.

Erityisen tarpeellista auringolta suojautuminen on etelän aurinkolomilla, jonne usein siirrytään kotimaan harmaudesta.

Tiistaina 5.11. klo 13.00–14.30

Raision ja Naantalin Nivelkerhossa aiheena luomihuoli, vierailijana sairaanhoitaja Eija Säteri

Lounais-Suomen syöpäyhdistyksestä.

Lounais-Suomen Syöpäyhdistyksen palvelut

Voit varata ajan ihomuutoksen tarkastukseen puh. 02 265 7927.

Avoinna ma, ke ja pe 9-11 sekä ti, to klo 13-15.

Neuvontahoitajat tavattavissa Meri-Karinassa, Seiskarinkatu 35, Turku.

Palvelu on syöpäyhdistyksen jäsenille maksuton, muille 25 €/kerta.

Teksti: Tuula Vainikainen

Esteettömyys ja asumisen ennakointi

Teksti: Maura Tiuraniemi, hanketyöntekijä Ikä- ja muistiystävällinen taloyhtiö, Kiinteistöliitto Kuva: Esa Piiroinen

Esteettömyys on ihmisoikeus, joka tarkoittaa ympäristön, tilojen, palveluiden ja tiedon helppokäyttöisyyttä. Esteettömyys mahdollistaa yhdenvertaisen osallisuuden ja itsenäisen elämän, vaikka liikkumisessa, näössä, kuulossa, ymmärryksessä tai kommunikoinnissa olisi haasteita. Asumisen ennakointi on oman asumistilanteen tarkastelua hyvissä ajoin, muutostöiden suunnittelua etukäteen tai mahdolliseen muuttoon varautumista. Ensimmäinen askel on kysyä itseltään, vastaako nykyinen koti ja sen ympäristö asumisen tarpeita 5–15 vuoden kuluttua.

Riittääkö remppa

Koti kannattaa muokata esteettömäksi ja turvalliseksi hyvissä ajoin, sillä hyväkuntoisena tarvittavien muutosten teettäminen on helpompaa. Erityisesti keittiön, wc:n ja pesutilojen toimivuuteen on hyvä panostaa. Nykyään osakkailla on oikeus tehdä esteettömyyttä parantavia muutostöitä myös taloyhtiön yhteisissä tiloissa. Esteettömyyskorjauksia ovat esimerkiksi kulkuliuskat, ovipuhelimet, sähköiset ovenavausjärjestelmät, tukikaiteet ja valaistuksen parantaminen. Muutostöihin voi saada yhteiskunnan tukea, Aran avustusta tai vakuutusyhtiön korvauksia. Vanhustyön keskusliiton korjausneuvonta auttaa muutostarpeiden arvioinnissa ja avustusten hakemisessa.

Väliaikaiset parannukset

Esteettömyys on hyvä huomioida myös tilapäisten rajoitteiden aikana, kuten leikkauksen jälkeen. Onhan tilaa riittävästi apuvälineiden kanssa liikkumiseen, usein käytetyt esineet helposti saatavilla ja sänky sopivalla korkeudella? Tarvitaanko liukuesteitä, pesutuolia tai tukikahvoja? Apuvälineitä voi tiedustella terveyskeskuksen apuvälinelainaamosta tai alueellisesta apuvälinekeskuksesta.

Ympäristöministeriön ja Kiinteistöliiton jäsenyhdistysten rahoittamassa Ikä- ja muistiystävällinen taloyhtiö hankkeessa (2024–2025) jaetaan tietoa ikääntymisen vaikutuksista asumiseen. Hanketyöntekijänä toimii Maura Tiuraniemi, sosionomi, isännöitsijä ja asumisneuvoja. Ma 16.9. klo 14.30 Asumisen ennakointi ja esteettömyyskorjaukset. Maura Tiuraniemi luennoi Lehmusvalkaman hyvinvointikeskuksen salissa.

Tarvitaanko muutto

Korjausten ja muutostöiden tekeminen saattaa joskus olla mahdotonta tai liian vaivalloista. Tällöin on parempi muuttaa ennen kuin toimintakyky heikkenee liikaa. Alle 80-vuotiaana sopeutuminen muutoksiin on helpompaa. Uuteen asuinalueeseen on hyvä tutustua etukäteen, löytyykö läheltä ikäihmisten palveluita ja mahdollisuuksia sosiaaliseen kanssakäymiseen. Kannattaa myös selvittää erilaisia yhteisöllisen asumisen vaihtoehtoja. Lisätietoa asumisen ennakoinnista voi löytää esimerkiksi Vanheneminen.fi-sivustolta sekä Asumisen Apu -palvelusta.

Elokuusta lähtien viikoittain Satakunnasta

Joka lähdölle arvotaan jalkahoitoja, vähintään 20kpl/auto, yhteensä jopa 60kpl (sis.hintaan). Varaukset 1kk ennen. Seuraa kotisivuilta reittiä!

Tällä tietoa Satakunnasta lähdöt 1.9. 2-tietä la-su

15.9. Satakunnasta lähtijöiden mukaan 22.9. Pori-Kiikoinen-Tre 29.9. Auto 1 Pori 2-tietä Hki:iin

Auto 2 Pori - Eura - Turku 6.10. Pori-Kiikoinen- Tre 13.10. Pori- Uki-Turku

Alkaen ph 510€, th 540€. Buffet meno-paluu ph 580€, th 610€

Katso kotisivuilta lisää! Soita 0400 599 309

Apuvälineitä luonnossa liikkujalle

Teksti: Pekka Aava

Kuvat: Google Play, PlantNet appi, Sienitunnistus appi, Pekka Aava, Kim Fredriksson

Liikunnasta luonnossa saa virtaa ja samalla ympäristöä havainnoimalla ja siitä oppimalla vielä enemmän. Linnun laulusta voi tunnistaa helposti linnun, kasvin kukasta taikka sienen tunnusmerkeistä sienen - ilmaisella netistä ladattavalla, puhelimeen ladattavalla sovelluksella.

Jossain laulaa lintu, mutta mikä?

Muuttolintujen kevät -sovelluksella voi tunnistaa yli 150 suomalaista lintulajia niiden laulun perusteella. Sovelluksen voi ladata Google Play kaupasta osoitteella Muuttolintujen kevät – RFJM Puhelinsovellusta ladattaessa pitää luovuttaa puhelimen paikkatiedot ja mikrofonin käyttöoikeus sovelluksen laatijalle, Jyväskylän yliopistolle.

Tunnistaminen tapahtuu painamalla kuvaketta Nauhoita ja äänittämällä tunnistettavan linnun laulua noin minuutin verran. Tämän jälkeen painetaan kuvaketta Tunnista havainto ja saat hetken päästä sovellukseen linnun nimen. Voit etsiä lisää tietoa tunnistetusta linnusta ja sen äänestä esim. LuontoPortti/ Linnut -sivustolta. Nämä ohjeet ovat puhelimille, joissa on Android-käyttöjärjestelmä.

Kasvihakemisto taskukoossa

PlantNet -sovelluksella voit tunnistaa kasveja suoraan puhelimen kameralla tai aiemmin puhelimen galleriaan tallennetulla kasvikuvalla. Lataa sovellus Google Play kaupasta. 1.Salli sovellukselle käyttää sijaintitietojasi. 2. Valitse alhaalta kamerakuvake. Salli lupa kuvan ottamiseen. Salli myös lupa käyttää ottamiasi kuvia. 3. Kamera käynnistyy. Ota kuva kasvista. 4.Valitse kuvasi tunnistamiseksi lehti (leaf), kukka (flower), hedelmä (fruit) tai puun kuorta (bark). 5.Sovellus esittelee lajeja, jotka muistuttavat kuvasi kasvia. Saat myös kasvin nimen. Valitsemalla todennäköisimmän, sovellus esittelee sinulle lisää kuvia kasvista. Voit etsiä kasvista lisätietoja esimerkiksi Wikipediasta.

Tunnista sieni

Hyvin toimiva Sienitunnistus-sovellus sisältää tällä hetkellä vajaan 200 suomalaisen sienen tiedot.

Sovellus käyttää tietolähteenä sekä Suomen Lajitietokeskusta että Wikipediaa. Tarkkaan kuvaukseen sisältyy tiedot muun muassa sienen levinneisyydestä ja elinympäristöstä. Ja tietenkin syötävyydestä. Ota sienestä valokuva. Lataa se palveluun ja näet ruudulla ehdotuksia siitä, mikä sieni voisi olla kyseessä. Sovellus käyttää tunnistamiseen tekoälyä, mutta muistuttaa sinua käyttämään tunnistamisessa myös omaasi. Älä syö sientä, jota et varmuudella tunnista syötäväksi. Kuten edelläkin, voit tutkia sientä vielä lisää esim. LuontoPortti/Sienet -sivustolta.

Jalokiurunkannus
Suppilovahvero
Punarinta

Luonnon ruokakomerosta

Teksti: Marjatta Kannisto

Villiyrtit ja luonnonmarjat -kirja saa uskoakseni kaikki asiasta vähänkin kiinnostuneet tarttumaan siihen jo sen kauniinkin ulkoasun vuoksi. Sisältä paljastuu paitsi hyvin kauniita ja selkeitä kuvia, myös monipuoliset ohjeet tavallisimpien Suomessa kasvavien villiyrttien ja luonnonmarjojen monipuoliseen käyttöön ruoissa ja terveydenhoidossakin. Kirjassa opetetaan tunnistamaan luontomme aarteita. Selvät, isot kuvat auttavat tunnistamisessa. Myös kasvien ja niiden osien keräämisestä annetaan hyvät ohjeet, eikä säilömiseen ohjaavia neuvojakaan ole unohdettu. Tietoa pieneen kirjaan on siis mahdutettu valtavasti. Esimerkkinä kirjan monista kasveista otan kaikkien tunteman katajan. Katajanmarja ei ole marja vaan käpy, jota voidaan poimia eri kypsyysasteisena. Marjoja voidaan käyttää kokonaisina, murskattuina ja jauheena. Eri käyttötavoista on monen monta esimerkkiä. Katajanmarjasta, kuten muistakin kirjan esittelemistä kasveista kerrotaan myös se, kenen ei tule sitä käyttää ja mitä suuret annokset voivat aiheuttaa. Esimerkkimme kataja ei sovi korkeasta verenpaineesta kärsiville, raskaana oleville ja diabeetikoille. Myös katajan versojen ja oksien käytöstä ravintona annetaan selkeät neuvot. Kirjan mielenkiintoinen, erikoinen ohje katajanmarjakastikkeesta ja paistetuista kyyhkysenrinnoista toteutunee harvassa perheessä, mutta olkoon tässä esimerkkinä kirjan monipuolisuudesta.

Meillä useimmilla on pysyvä viha-rakkaussuhde voikukkaan, nokkoseen, vuohenputkeen ja siankärsämöön. Tiedämme niiden valtaavan alaa pihoiltamme ja viljelyksiltämme ikävällä voimalla. Keväällä kukkiva voikukkapelto on kaunis. Sitä ei voi kieltää. Muualla Euroopassa voikukkapelto saattaa olla kukoistamassa tarkoituksellisesti, siis viljeltynä, koska tämänkin kas-

Syysleiri Metsän siimeksessä

Ma-To 28.-31.10., Päiväkävijät ti 29.10. Sinapin leirikeskus, Turun Kakskerrassa.

Hinnat: leiriläiset 133 € (sis. ruoat, ohjelma ja liinavaatteet) päiväkävijät: 33€ (sis. ruoat ja ohjelma)

Leiri järjestetään yhteistyössä Turun ja Kaarinan seurakunnan Diakoniatyön kanssa.

vin eri osat ovat ravintorikkaita ja moni käyttöisiä. Ehkä meidän pitäisi suhtautua voikukkaankin hiukan avarakatseisemmin. Samoin on nokkosen laita. Siitä kelpaavat ruoaksi paitsi lehdet, myös siemenet ja juuret. Kirjasta saamme neuvot niiden kaikkien keräämiseen ja säilömiseen. Nokkoslettujen ohje tässä kirjassa on tehty niin helpoksi, että varmasti monen tulee niitä kokeiltua, kun tämän ohjeen lukee.

Vuohenputken ja siankärsämön käyttötavat ovat myös hyvin monenlaiset. Vuohenputki onkin tuotu Suomeen alun perin vihanneskasviksi. Kuten tiedämme, se leviää helposti ja tukahduttaa muut kasvit. Siksi onkin hieno asia, että vuohenputkea syömällä voimme hillitä sen kasvua!

Kahdeksan luonnonmarjaa ovat saaneet omat sivunsa. Hyvä niin, koska me suomalaiset emme osaa tarpeellisessa määrin käyttää valtavaa metsiemme marjasatoa, ilmaista superruokaa. Mustikkaa ja puolukkaa olemme tottuneet syömään ja keräämän, mutta esimerkiksi variksenmarja eli kraakunmarja on monelle suomalaiselle hyvin vieras ainakin ruokapöydässä. Sen ravitsemuksellinen anti ja monikäyttöisyys tekevät siitä kuitenkin tutustumisen arvoisen ruoka-aineen. Esimerkiksi syöpää torjuva ursolihappo sisältyy tämän upean marjan anteihin.

Ruokalaskua ihmetellessä tulisi muistaa puhtaan pohjoisen maamme ilmainen ruokakomero, josta voimme kerätä ravintorikasta suuhun pantavaa aivan ilmaiseksi jokamiehenoikeuksilla.

Mari Ikonen ja Anne Soininen: Villiyrtit ja luonnonmarjat. Viestimedia 2024. 111s.

Ilmoittautuminen:

aukeaa ma 2.9.2024 klo 10.00

Paikat täytetään ilmoittautumisjärjestyksessä.

Verkossa: www.nivelposti.fi/toimintaa/vertaistoiminta/ (Omat linkit leiriläisille ja päiväkävijöille)

Puhelimitse: Toimiston numero 040 351 3833. Ensikertaa leirille tuleville on varattu 6 paikkaa. nämä varataan soittamalla toimistolle.

Huom! Ilmoittautumista varten jokaiselta osallistujalta tarvitaan seurakunnan laskutusta varten henkilötunnus.

Nivelrikko, elämänlaatu ja psyykkinen hyvinvointi

Teksti: Rolf Tikkanen

Kuva: Annukka Helander

Petra Toivonen luennoi 28.2.2024 Nivelverkko-luennolla, koskien nivelrikkoa, elämänlaatua ja psyykkistä hyvinvointia. Sairaanhoitaja Petra Toivosella on yli kymmenen vuoden työkokemus erikoisterveydenhuollosta. Lisäkoulutuksena hän suorittaa kognitiiviseen käyttäytymisterapiaan suuntautuvaa psykoterapeuttikoulusta.

Elämänlaatu ja psyykkinen hyvinvointi ovat jokaisen elämää koskettavia asioita. Erityinen merkitys näillä on kuitenkin kroonisista sairauksista kärsiville. Mielenterveyteen liittyvät stigmat ovat onneksi vähentyneet viime vuosikymmeninä, mutta tietämys kroonisen sairauden ja psyykkisen hyvinvoinnin yhteydestä saattaa edelleen olla monella puutteellista.

Mitä elämänlaadulla ja psyykkisellä hyvinvoinnilla tarkoitetaan?

Elämänlaatu on subjektiivinen käsite, jonka määritelmä vaihtelee riippuen henkilöstä. WHO:n määritelmän mukaan se on yksilöllinen käsitys omasta elämäntilanteesta suhteessa kulttuuriin, sosiaalisiin normeihin ja omiin tavoitteisiin. Elämäntilanne vaikuttaa siihen, mitä arvostaa ja mitä tarvitsee. Kroonisesta sairaudesta kärsivillä voi olla eri tarpeita kuin perusterveillä. Toivosen mukaan ihmisillä on kuitenkin joitakin yleisiä, elämänlaatuun kytköksissä olevia perustarpeita, kuten tarve toteuttaa itseään, läheisyyden tarve, turvallisuuden tarve, taloudelliset tarpeet ja fysiologiset tarpeet, kuten ruoka, uni, ym.

Psyykkinen hyvinvointi tarkoittaa sitä, että positiiviset ja negatiiviset tunteet ovat tasapainossa. Psyykkisesti hyvinvoiva henkilö on jokseenkin tyytyväinen elämäänsä, tuntee elämällänsä olevan merkitystä, hänellä on hyviä sosiaalisia suhteita ja tuntemus siitä, että hän voi kehittyä ja toteuttaa potentiaalinsa. Toivosen mukaan psyykkinen hyvinvointi voidaan ymmärtää resurssina, joka mahdollistaa elämän vaikeuksien päihittämisen ja vaikeiden päivien ylittämisen. Nivelrikon vaikutus elämänlaatuun ja psyykkiseen hyvinvointiin

Nivelrikko on kehittyvä sairaus, joka voi johtaa krooniseen kipuun. Kipu voi alentaa mielialaa ja aiheuttaa esimerkiksi unettomuutta. Kipu voi myös estää henkilöä tekemästä merkitykselliseksi tai tärkeiksi tuntemiaan asioita. Kipu saattaa heikentää työkykyä ja siitä johtuva aktiviteettien välttely voi kaventaa sosiaalista piiriä. Kipu ja sairauteen liittyvä epävarmuus voi myös aiheuttaa ahdistusta, joka pahimmillaan voi

kehittyä masennukseksi. Työkyvyn heikentyminen taas voi aiheuttaa taloudellisia huolia.

On tärkeää ymmärtää, että ahdistus on yleinen ja luonnollinen kokemus, jota ei voi aina ohjailla mielenvoimalla. Ahdistus kehittyy, kun ruumis tulkitsee jonkin asian uhkana, vaikka todellista akuuttia vaaraa ei ole. Ahdistukseen liittyy usein huolestuneisuutta, pelkoa ja ajatusten vatvomista. Pitkäaikaiseen ahdistukseen voi saada apua esimerkiksi keskusteluterapiasta, mindfulnessin harjoittamisesta tai vertaistuesta. Mindfulnessin avulla voi hallita ahdistusta tai negatiivisia tunteita. Mindfullness-harjoittelussa keskitytään juuri siihen tilanteeseen missä on ja niihin aistikokemuksiin mitä tuntee siinä hetkessä. Sen tarkoitus on ohjata ajatukset pois huolista tähän hetkeen. Myös sairautensa ymmärtäminen auttaa luomaan mielenrauhaa ja vähentää epävarmuutta.

Masennus tarkoittaa pitkäaikaista mielialan alentumista, johon voi liittyä väsymystä, vaikeuksia keskittyä, unettomuutta tai liiallista unta. Yksi oleellinen masennuksen oire on kiinnostuksen puute asioihin, jotka ennen tuottivat mielihyvää. Masennuksen oireita voi olla myös toimintakyvyn lasku sekä selittämättömät fyysiset oireet, kuten kipu. Masennus voi myös alentaa kipukynnystä. Masennus luokitellaan lievään, keskivaikeaan ja vaikeaan masennukseen. Koska ihmiset sopeutuvat sairauteensa ja kipuun eri tavoin, on hoidon oltava yksilöllistä. Jotkut tarvitsevat enemmän apua elämänlaadun ja psyykkisen hyvinvoinnin ylläpitämiseksi. Niin ahdistukseen kuin masennukseenkin saa psykologista apua. Toivonen painottaa myös rutiineissa pysymistä, vaikka se voi tuntua vaikealta. Terveellisemmät valinnat tukevat kuntoutuksen lisäksi myös mielenterveyttä. Muun muassa tupakka, alkoholi ja kofeiini saattavat aiheuttaa lisää stressiä ja niitä kannattaakin välttää. Monipuolinen ruokavalio ja oikeanlainen liikunta, esimerkiksi fysioterapeutin ohjaamana, auttavat pysymään aktiivisena. Toivonen kehottaa muuttamaan suhtautumistaan aktiivisuuteen ja arvostamaan niitä asioita mitä pystyy tekemään. Omien tavoitteiden ymmärtäminen ja saavuttaminen auttaa antamaan merkitystä elämälle. Terapeuttinen keskustelu ja aktiivisena pysyminen tukevat molemmat psyykkistä hyvinvointia ja parantavat elämänlaatua, sanoo Toivonen.

Ruotsinkielisen luennon tallenteen voi katsoa www.nivelverkko.fisivustolta.

Luento on myös tekstitetty ruotsin kielellä.

Kokemuksellinen, positiivinen vanheneminen

Teksti: Sinikka Leino

Yleislääketieteen ja geriatrian erikoislääkäri, emeritaprofessori Sirkka-Liisa Kivelä on tullut tunnetuksi rohkeista kannanotoistaan ja uraauurtavasta työstään vanhustenhoidon parantamiseksi.

Yhteiskunnassamme vallitseva käsitys vanhenemisesta ja vanhuudesta painottuu fyysisiin muutoksiin, heikkenemiseen. Ikääntymisen syvällisestä psyykkisestä kehityksestä puhutaan ja kirjoitetaan liian vähän. Negatiivisuuden leima pitää yllä iäkkäiden syrjintää. Se myös heikentää nuorten ja keski-ikäisten mahdollisuuksia vanheta tyylikkäästi, toteaa Sirkka-Liisa Kivelä. Jos ihmiset havahtuisivat miettimään psyykkistä vanhenemista, se vähentäisi ikäsyrjintää ja nostaisi vanhojen ihmisten arvoa.

Psyykkinen ikääntyminen on hieno kehitysprosessi: matka itsetuntemukseen ja elämän ymmärtämiseen. Vanheneminen on syvällisen kehittymisen aikaa. Ikääntyvä löytää itsensä muistojen

ja pohdintojen kautta. Vapaudumme rooleistamme. Vanhenemisesta voi tulla uudenlainen luovuuden kausi laajentuneen mielikuvituksen yhdistyessä elämänkokemukseen. Myös kulttuurin ja historian siirtäminen on erittäin arvokasta – muutenhan nuoret elävät yhteiskunnassa, jossa ei ole historiaa. Tärkeä osa hyvää, kokemuksellista vanhuutta on lisäksi se, että osaa elää hetkessä ja voi edelleen tehdä asioita, joista nauttii.

Haastatellessani Sirkka-Liisa Kivelää Turussa 20.2.2024 oivalsin, että oman elämänkauden positiivisen merkityksen kokeminen antaa voimaa tuntea arjet elämisen arvoisina ja lisää uskoa tulevaisuuteen.

Sirkka-Liisa Kivelä luennoi to 10.10. klo 17.30 Turun ammattikorkeakoulun tiloissa, Lemminkäisenkatu 30.

Luento taltioidaan Nivelverkko-sivustolle.

Svenskspråkiga evenemang

Tors 26.9. kl. 17

hösten 2024

Artroskvällen: Vårdvägen för artrospatienter och Varhas svenskspråkiga tjänster

Ann-Christine Friberg (ÅUCS-orto)

Kulturcentret Luckan Auragatan 1, Åbo

Ons 9.10. kl. 17

Artroskvällen: Föreläsning och diskussion om artros, livskvalitet och psykiskt välbefinnande

Kvartersklubben (Folkhälsan) Henriksgatan 9, Åbo

Psykoterapeut Petra Toivonen Hanna Okodugha, Satu Gustafsson

Mon 18.11. kl. 16:30

Artroskvällen: Artros ur ett fysioterapeutiskt perspektiv

Fysioterapeut OMT Milka Reponen

Föreningens lokaler Lonttisvägen 9, Åbo

Infokvällar om ledprotesoperationer

I föreningens lokaler, Lonttisvägen 9 Möjlighet att delta också på distans (Teams)

Anmäl dig per e-post toimisto@nivelposti.fi eller telefon: 050 575 0613 (Hanna Okodugha)

Mer information: www nivelposti fi/toimintaa/ svensksprakig-verksamhet/

Tis 22.10. kl. 17

Tis 3.12. kl. 17

Petra Toivonen

Voiko kuntosaliharjoittelusta olla haittaa?

Teksti: Anne, Anneli ja Paula, fysioterapeutit, yhdistyksen vapaaehtoistyöntekijät

Kuvat: Kim Fredriksson

Kuntosaliharjoittelu on monipuolinen liikuntamuoto, joka sopii kaikenikäisille ja -kuntoisille. Saliharjoittelu saattaa varsinkin aluksi aiheuttaa lihaskipua pariksi päiväksi. Se on kuitenkin normaalia. Sen sijaan nivelten kipeytyminen ei ole toivottavaa. Pääsääntöisesti saliharjoittelu on hyväksi, mutta on tärkeää huomioida alla olevat seikat välttyäksesi kivuilta.

Vaikka olisit kokenut salilla kävijä, kannattaa tarkistaa omat salirutiinit ja -tavat, koska ihminen urautuu helposti tekemään tietyllä tavalla! Jos olet vasta-alkaja, pyydä laiteohjausta rohkeasti!

Huomioi seuraavat seikat:

Tee aina alkulämmittely

Tauon jälkeen aloita aina ikäänkuin alusta pienehköllä painolla herätelläksesi lihakset toimintaan. Kauden edetessä on hyvä muistaa nousujohteisuus, jotta lihakset vahvistuvat.

Joka laitteessa huomioi hyvä ryhti, aktivoi keskivartalon tuki vetämällä lantionpohjaa ylös ja litistämällä vatsaa kevyesti.

Kipua on tärkeä kunnioittaa!

Tee liikkeet aina kivuttomalla liikeradalla. Erota kuitenkin sarjojen lopussa tuntuva lihasten väsyminen, sillä se on toivottavaa ja kuuluu asiaan. Jos kipua ilmaantuu, tarkista että teet liikkeen oikein ja rauhallisesti liu`uttaen, nykimättä. Voit myös keventää vastusta, pienentää liikerataa ja tarkistaa asentosi laitteessa. Jos kipu helpottaa näillä toimin, voit jatkaa harjoittelua. Jos kipu kaikesta huolimatta jatkuu, jätä kyseinen laite sillä kertaa väliin!

Jalkoja treenatessa tarkista aina linjaus, että polvet ja varpaat liikkuvat samaan suuntaan. Jos etureisipenkki (polven ojennus ja koukistus) kipeyttää polven, kokeile jalkaprässiä.

Yläraajataljaa vetäessäsi vie talja vain rintakehän etupuolelle, ettet aiheuta kipua olkapäihin ja niskasi pysyy hyvässä asennossa!

Kuva 1. Soutulaitteessa huomioi vetovaiheessa selän hyvä ojennus (lavat taakse yhteen). Kuva 2. Palautusvaiheessa kallista vartaloa lonkista lähtien.

Parhaan hyödyn saat, kun suoritat lihasvoimaharjoittelua terveysliikuntasuositusten mukaan kaksi kertaa viikossa!

Ikäihmisille tärkeintä on alaraajatreeni. Yhden harjoittelukerran aikana voit keskittyä vain osaan lihasryhmistä, kaikkia laitteita ei tarvitse samalla kertaa suorittaa.

Harjoittelun päätteeksi tärkeää on lihasten venyttely. Salilla ensin lyhyet venyttelyt ja kotona myöhemmin pidempikestoinen venyttely. Yritä saada venyttelyt rutiininomaiseksi, esim. uutisten aikainen venyttelyhetki!

Pyydä itsellesi yhdistyksen kirjallinen kuntosaliohje!

Kuvissa esiintyy yhdistyksen jäsen Marja Matara.

Polven tarina

Teksti: Erkki Matilainen

Kuva: Eeva Himmanen

Kuinka monta kertaa samaa polvea voi leikata perinteellisellä avoleikkauksella? Omakohtaisen kokemukseni perusteella voin kertoa, että ainakin kolme kertaa, ehkä jatkossa vielä neljännenkin kerran.

Polveni tarina alkaa 70-luvulta. Nuorena miehenä harrastin monipuolisesti eri liikuntalajeja, kuten juoksua, hiihtoa ja eri palloilulajeja. Oikean jalan polveni loukkaantui pelatessani kaveriporukan kanssa jalkapalloa. Kiertoliikkeessä ollut jalkani osui vastapelaajan jalkaan. Polveen tuli kipua ja se turposi nopeasti. Tutkimuksessa selvisi, että jalan polvikierukka oli revennyt ja edessä olisi polvileikkaus, joka tehtiin Turun kaupungin sairaalassa joulun alla 1977. Siihen aikaan polvikirurgiassa oli käytössä tapa, että repeytynyt polvikierukka poistettiin kokonaan. Edessä oli fysioterapiaa ja kotijumppaa polvelle. Aika pian polvi oli siinä kunnossa, että liikuntaharrastukset jatkuivat, kuten aikaisemminkin. Leikattu polvi toimi hyvin, ei ollut kipua tai muutakaan murhetta sen suhteen. Vuosien kuluessa juoksuharrastuksesta tuli minulle pääasiallinen liikuntamuoto. Kotoa oli helppo lähteä juoksulenkille. Lenkkeily oli myös sosiaalista kanssakäymistä juoksukavereiden kanssa yhdessä juosten. Tavoitteellisuutta juoksemiseen toi juostut maratonit.

Näin vuodet kuluivat ja lenkkikilometrejä ja maratoneja kertyi, kunnes keväällä 2004 leikattu polvi alkoi oirehtia. Juoksemisessa polvi turposi ja ajatus kesän alun maratonista Tukholmassa piti haudata. Toki osallistuin siihen katselijana ja juoksukavereiden kannustajana. Elämääni tähän asti kuulunut liikunnallinen osa oli nyt poissa ja samoin siihen liittynyt juoksemisesta tullut hyvä olo. Polvi leikattiin seuraavana syksynä. Syy kipuihin ja turvotukseen selvisi. Kun aikoinaan oli koko polvikierukka sen ajan leikkaustavan mukaan poistettu, oli polvinivel pahasti kulunut. Polveen istutettiin nyt puolitekonivel. Polven leikannut ortopedi sanoi, että siitä tulee hyvä kävelypolvi mutta puolitekonivel tai sen kiinnitystapa ei kestä juurikaan jatkuvaa tärähdystä, joka juostessa tulisi. Näin piti jättää ajatus juoksulenkeistä ja orientoitua uuteen tilanteeseen. Toisaalta ortopedi sanoi myös, että jalan lihakset on syytä pitää kunnossa. Kävely, polkupyöräily ja hiihto olivat nyt ne lajit, joita saatoin harrastaa. Jossain vaiheessa 2010-luvulla työelämän päättyessä, liityin myös Turun seudun Nivelyhdistykseen ja olen käynyt siitä asti kaksi kertaa viikossa Impivaarassa yhdistyksen kuntosalivuorolla. Aktiivinen liikunta mukavassa seurassa ovat olleet monessa mielessä hyvän elämän rakennuspalikoita näin eläkevuosina.

Uusi käänne polven kanssa tuli viime vuoden lopulla. Aivan joulun alla tekonivelpolvi alkoi sattua ja kävellessä siitä kuului kolahtava ääni. Joulunaika polven kanssa meni polvea potien jotenkuten ja heti joulun jälkeen ensimmäisenä

arkipäivänä menin Mäntymäen terveyskeskukseen ilman mitään ajanvarausta. Odottelin puolisen tuntia, kunnes naispuolinen lääkäri kutsui minut sisään tutkittavaksi. Nopean tutkimuksen jälkeen hän lähetti minut röntgenkuvaukseen ja lupasi soittaa minulle iltapäivällä kotiin. Soittaessaan hän ilmoitti, että minulla on polven leikkausaika Tyksin Mäntymäen kirurgisessa sairaalassa heti ylihuomenna. Näin hienosti toimi tässä tilanteessa turkulainen terveyskeskuspalvelu. Kaksi päivää siitä, kun menin terveyskeskukseen ilman ajanvarausta, olin jo aamulla leikkausosastolla valmisteltavana tulevaan polvileikkaukseen. Polvi leikattiin avoleikkauksella, jossa polven puolitekonivel puhdistettiin ja vaihdettiin tilalle uusi muovilevy sääriluun ja reisiluun teräspintojen väliin. Aikaisempi muovilevy oli kulunut ja ohentunut sekä lopulta revennyt pieniksi palasiksi. Yksi yö sairaalassa, sitten jumpparin ohjeet sekä särkylääkereseptit ja apteekin kautta kotiin. Oliko syynä nopeaan hoitoon akuuttivaurio polvessa vai sopiva rako ortopedisellä osastolla juhlapyhien välissä? Oli miten oli, niin minusta turkulainen terveydenhuolto toimi tässä kohtaa todella vakuuttavasti.

Tätä kirjoittaessa huhtikuussa polvi toimii taas hienosti. Jossain vaiheessa tulevaisuudessa leikatussa polvessa säärija reisiluihin kiinnitetyt teräspintojen ruuvikiinnitykset alkavat haurastua ja löystyä. Silloin polveen operoidaan kokotekonivel, eli kansanomaisesti sarananivel. Tuleeko samaan polveen vielä neljäs leikkaus, sen aika näyttää? Nyt mennään tällä korjausleikatulla polvella eteenpäin.

Erkki Matilainen

Arkeen Voimaa

– pienin askelin kohti parempaa arkea

Teksti: Riikka Haumo, valtakunnallinen koordinaattori, Varha

Erilaiset pitkäaikaissairaudet ja haasteet vaikuttavat arkeemme heikentäen elämänlaatuamme. Apua ja tukea tilanteeseemme voi olla vaikea saada terveydenhuollosta. Useimmille meistä on myös tuntemattomia kunnan sekä järjestöjen tarjoamat erilaiset hyvinvointipalvelut. Meistä jokainen tarvitsee neuvoja ja työkaluja, jotta voisimme kokea arjen mielekkääksi haasteistamme huolimatta. Elämä tuo eteemme aika ajoin ala- ja ylämäkiä, se kuuluu asiaan mutta jotta, pääsemme näiden tilanteiden yli, on hyvä olla käytännön työkaluja, joiden avulla nämä esteet voidaan selättää.

Arkeen Voimaa -itsehoidon kurssi on yksi vaihtoehto, jonka avulla voimme vaikuttaa oireisiimme ja niiden aiheuttamiin arjen haasteisiin. Näitä oireita ovat univaikeudet, fyysiset rajoitukset, kipu, uupumus, stressi, hankalat tunteet, mielialan lasku ja hengenahdistus. Kaikkien näiden oireiden samanaikaisesti aktivoituessa ihmiset kokevat, että arkea pyörittää noidankehä. Huomaamatta yritämme selviytyä näistä haasteista omilla toimintatavoillamme, joista voikin olla apua. Valitettavan usein kuitenkin käy niin, että vanhat tavat eivät ratkaisekaan ongelmiamme vaan tilanteet mutkistuvat entisestään. Arkeen Voimaa -toiminta tarjoaa asiakkailleen käytännön työkaluja, joiden avulla voidaan ratkaista arjen haasteita ja lisätä luottamusta omaan pärjäämiseen.

Arkeen voimaa-kurssi kestää kuusi viikkoa ja sen tapaamiset ovat kerran viikossa. Ryhmäkoko on 8-14 henkilöä. Kurssin pitopaikat pyritään valitsemaan niin, että toimintaa voidaan sanoa lähipalveluksi. Koronan myötä kohtaavan palvelun tilalle luotiin Teams-välitteinen kurssi, joka on käytössä edelleen. Osallistujat Teams-kurssille tulevat ympäri Suomea, joka hienosti rikastuttaa ilmapiiriä. Asiakkaan kirja itsehoidon apuna

Koska kaikki emme ole innokkaita tulemaan ryhmäpalveluun, on tarjolla mahdollista ottaa Arkeen Voimaa -työkalut käyttöön myös itsenäisesti. Toimintamalliin kuuluu asiakkaan kirja, jossa on käsitelty kaikki kurssilla käytävät aiheet ja paljon muutakin hyvinvointia lisäävää tietoa. Kirja löytyy useimmista kirjastoista ja se on mahdollista ostaa verkkokaupasta myös omaksi.

Arkeen Voimaa - asiakkaan kirja on toimintaan liittyvä oheislukemisto. Hyvinvointipalvelut ovat tärkeä osa itsensä hoitamista, mutta enimmän ajan hyvinvoinnista huolehtiminen tapahtuu omassa arjessamme. Kirjan tarkoituksena on antaa lukijalleen tietoa ja työkaluja, joiden avulla on mahdollista tehdä muutoksia ja kohentaa arkipärjäämistä haasteista huolimatta. Kirjassa on paljon käytännön vinkkejä ja ehdotuksia muun muassa uupumuksen, kivun, univaikeuksien ja mielialan laskun hallintaan. Kirja auttaa asettamaan itselle sopivia tavoitteita, tekemään päätöksiä ja etsimään tietoa hyvinvointiin liittyen. Kirja on pyritty kirjoittamaan mahdollisimman selkeällä kielellä, joten et tarvitse ammattilaisen tukea selventämään kirjan sisältöjä.

Ryhmäläisten kokemuksia

Toiminnasta kerätään asiakaspalautetta, jotta heidän näkemyksensä ja kokemukset tulevan toimintaa koordinoivien tietoon. Asiakastyytyväisyys palveluun on ollut huomattavan korkea, 94 %:n kiitettävää tasoa. Ohessa muutamia otteita asiakaspalautteista.

Lisätietoa Arkeen voimaa-kursseista ja niiden aikataulut löytyvät sivustolta: www.vasso.fi/arkeen-voimaa/

Arkeen voimaa-asiakkaan kirjan voi tilata sivustolta: www.sosiaalialantietopalvelu.fi/ tuotteet/Arkeen-Voimaa.html

”Ei puhuttu sairauksista tai diagnooseista ja niiden hoidosta, vaan keksittiin keinoja arkeen. Ihan sama, mikä sairaus kenelläkin oli.”

”Painin arvottomuuden tunteiden kanssa.”

”Ryhmässä sai olla oma itsensä.”

”Toimintasuunnitelman sai tehdä omien voimavarojen mukaan ja ryhmä kannusti toteuttamaan sen.”

”Sai uusia ajatuksia ja tuttuja.”

”Ryhmätapaamisesta sai voimaa koko viikoksi.”

”Sain selkeitä vinkkejä, jotta jaksan työssäni.”

Niveltonttu Apuvälinetontun pakeilla

Hei vaan kaikki tonttuystävät!

Olen ihkaoikea Apuvälinetonttu, ja viimeiset kaksi sataa vuotta olen pitänyt majaa täällä melkein yhtä vanhan ison tammen sisällä. Puutalo on aina puutalo, sanoi isätonttukin aina, hyvä ja hengittävä. Mutta nyt haluan kertoa teille Niveltontun vierailusta.

Ystäväni Niveltonttu kipaisi luokseni ja kysyi millaisia apuvälineitä maapallo päällään kantaa... että onkos niitä muitakin kuin selänraaputin ja sukanvetolaite? Oli vissiin tonttutäti ja tonttusetä pyytäneet vähän tiedustelemaan, kun noin 400 vuoden iässä alkanut jotain pientä kankeudenpoikasta heillekin ilmaantua, kaikista taukojumpista ja kasvisten pureskeluista huolimatta. Noh, oikeasta paikasta tuli kyselemään, ja mielellänihän minä Apuvälinetonttu kerroin!

Ihan ensimmäiseksi keitin Niveltontulle päiväkahvit. Otin esille vatsaystävällistä kahvia. Katsos, kahvimukeissa on isot korvat, vähän niin kuin minullakin, heh heh, naureskelin, ja hieman myhäilevä Niveltonttu istahti keittiön pöydän ääreen. Samalla aloin kertoa millaisia apuvälineitä ja kikkoja on keittiööni maailman turuilta ja toreilta kertynyt.

Pihdeillä nostan kahvipannun kannen pöydälle, pitemmillä tarttumapihdeillä poimin lattialle pudonneen patalapun, aloin kertoa. Ja on minulla magneettipäisetkin tarttumapihdit, niillä saa metalliset pikkuesineet poimittua. Joskus joustosankaiset pihdit tuntuvat mukavilta käteen, kun sormiakin särkee välillä enemmän. Pihdit avautuvat joustosangan avulla, saksetkin samalla tekniikalla. Joitain malleja voi myös lukita.

Muistan tuttavalla olevan sähköisen viipalointikoneen. Minulla on tämä reunallinen leivinlauta, jonka alle laitan kitkaa tuomaan vaikka kitkakankaan, liukuestemuovin, vaahtomuovin, kumin, silikonimaton tai märän kankaan. Liukuesterullasta voin leikata sopivan kokoisen palan juomalasinkin alle. On myös leikkuulaudan pidikkeitä, joilla laudan saa kiinnitettyä työtason reunaan.

Leivinlaudassa voi piikkien tai pidikkeen avulla kiinnittää purkin, leivän tai juustopalan paikalleen. Tässä tapauksessa tonttumuorin rusinapullapitkon leikkaamista varten, oikein paksu siivu kummallekin, ai että! Tarvittaessa käytän viiltosuojattuja hanskoja terävien veitsien kanssa puuhatessa.

Pihdeilläkin voin pitää pullaa paikoillaan. Näillä pihdeillä aukeaa kahvipaketti, ja jugurttipurkin kansi, ottaisitkos kuusenkerkkäjugurttia ennen kahvia? Käytän isompia pihtejä, kun paistan pannulla tai grillissä ryynimakkaroita. Sitten on kalapihdit ja -piikit erikseen.

Mites on, maidolla, kermalla vai kauramaidolla? Olepa hyvä, ota siitä! Maitotölkin nostamista auttaa sen ympärille asetettu irrotettava kahva. Nuo korkittomat maitopurkit ovat joskus niin tiiviisti kiinni, etteivät sormivoimat tahdo riittää avaamiseen, mutta sitäkin varten on oma apuvälineensä – kokeilepas sitä, ja sulkijakin löytyy, jos tarvetta.

Kun olet juonut kahvisi ja huuhtaissut kuppisi, laitatko kupin siihen astiankuivaustelineeseen, se on siinä pöytätasolla ihan, kiitos! Tiskiharja on kämmenmalli, ja astianpesusäiliöllinen, kokeilepas... Ja jos samalla pesaiset ne muutkin tiskit niin käytä toki sitä tiskialtaaseen kiinnitettyä tiskiharjaa...

Kuule, kun saat tiskattua, pyyhkisitkö vielä sen pöydän, kiitos. Tiskirätin kuivaaja on se valkoinen putkilo, siihen vaan sullot tiskirättiä ja painat sillä kapustalla niin ei tarvitse kiertää eikä vääntää rättiä kuivaksi.

Huh huh, jopas tulikin juttua... Ehdotan, että pidämme pienen tauon ja jatketaan vaikka sitten seuraavassa numerossa...”

Maitopurkin kahva ja avaaja

Kämmenmallin tiskiharja

Tiskirätin kuivaaja

Teksti: Minna Laine
Erilaisia pihtejä

Isä

Aamulla, kun minä vielä nukuin, isä jo töihin lähti, vaikka oli vielä pimeää ja taivaalla tuikki tähti.

Katson ikkunasta, tuolla isä kulkee pian sisälle saapuu - minut syliinsä sulkee. Isän syli on turvallinen ja käsi lämmin ja vahva, tuijotan ovea, pian kääntyy kahva.

Isä tuli, lapsen silmät loistaa, syömään kutsua - ei tarvitse toistaa, Yhdessä nautimme antimista pöydän, monenmoista herkkua sieltä löydän.

Ruokaperäset otetaan sohvalla köllien kanssa isän, se antaa päivään mukavan lisän.

Vatsat on täynnä ja muutenkin hyvä on olla, kun huilata saan isän kainalolla.

Illalla minut sänkyyn peitteleen huudan isää, iltasatuja mulle lukee - minä pyydän lisää.

Isä on parasta mitä minä tiedän, vaikka kyllä hyvin äitiäkin siedän.

Marjo Suominen

Isäinpäivää vietetään 10.11.

Päässäni pyörii riimit ja runot, yritän saada lakkaamaan lauseen punot!

Sänky mua kutsuu ja peittonsa suo siellä minä nukun, enkä runoja luo. Aamu kun koittaa ja päivä on paras ulos minä hiivin kuin oisin mä varas. on voimia kerätty pitkin yötä taas voin jatkaa runoilijan työtä.

Marjo Suominen

Jossittelija

Jos, jos, jos ja jos! Jos on aina jos, onko se jossittelua?

Ehkä enemminkin, jotain muuta, eikös se ole jo ainaista!

Suorastaan tavantakaista. Koska on tavannettu, on jotenkin positiivista.

Pitäisikö olla varmanpäälle? ei tarvitsisi jossitella. Mutta mikä varmaa olisi?

Epävarma on aina vaanimassa, siksi jos, jos, ja jos aina varmanpäälle jossittelu!

Kirjoitti Jossi, se epävarma vekkuli 15.11.2017

Väsyneen runo

Vielä raakamatskuu on teksti tää

Yritän elämää sisäistää

Ihmisen suurin ongelma on olla yksin

Mieluimmin sylityksin

Kylmä on ilta

Kuutamo ja toiveiden silta

Tunnelma noloutta hipoo

Toinen huuliaan lipoo

Tuntuu että kesä näkyy jo tuolla

Odottaessa annetaan elämän nuolla

En vielä halua kuolla

Haluan kirmata ja lampsia suolla

Helppoa ei ole aina rakkaus

Varsinkin jos on kovin antiikkinen pakkaus..

Joskus menee kiville ja lujaa

Kuljen yksin pimeää kujaa

Pian kuitenkin aamu tulee ja aurinko paistaa

Saa tuoretta sämpylää maistaa..

Pitää olla positiivinen aatos

Että loppuu tää paatos

Marjo Suominen

Onko pöytälaatikkoosi tai kovalevyllesi kerääntynyt runoja, joita Niveltonttu voisi julkaista palstallaan? Voit lähettää runosi meille sähköpostitse tiedotus@nivelposti.fi, postitse tai toimitettuna yhdistyksen toimitilaan. Runoja voidaan julkaista myös nimimerkillä. Runojen julkaisusta ei makseta palkkiota.

Kevään tapahtumia

Penkkilenkki Liedossa

Teksti: Aapo Koivusalo • Kuva: Anne Kantosola Toukokuun lopulla yhdistys esitteli toimintaansa Liedon vanhus- ja vammaisneuvoston järjestämällä penkkilenkillä Liedossa. Auringon hellässä – ja helteisessä – syleilyssä kävijät kiersivät puistossa penkiltä toiselle, joilla eri yhdistykset esittelivät toimintaansa. Osalla penkeistä oli myös toiminnallista ohjelmaa – kuvassa järjestöassistentti Aapo Koivusalo testaamassa notkeuttaan Lieto-Seuran penkillä. Nivelyhdistys esitteli tapahtumassa toimintaansa ja mainosti lähellä kokoontuvan Härkätien Nivelkerhon syksyn ohjelmaa.

Kutsu kahville

Kutsuimme kevään aikana uudet jäsenemme kahville ja kuulemaan toiminnastamme. Kaksi tilaisuutta järjestettiin Kosken Leipomon kabinetissa ja yksi yhdistyksen toimitilassa. Osallistuja kertyi liki 30, joten jatkamme niiden järjestämistä syyskaudella. Tervetuloa mukaan Yliopistonkadun Kosken Leipomoon ke 25.09. klo 10-12 ja ke 13.11. klo 10-12.

Kiitos yhteistyöstä Kosken Leipomolle!

"Lakkas viuraamast"

Teksti ja kuva: Annukka Helander Osana yhdistyksen vertaistoimintaa järjestettiin helmikuussa vierailu Lounatuulet-talossa sijaitsevaan Neuropisteeseen. Neuropisteen Arja Toivomäki esitteli Neuropisteen toimintaa ja johdatti osallistujat psykofyysisen fysioterapian maailmaan niin teorian kuin harjoitteidenkin kautta.

”Lakkas viuraamast” totesi yksi osallistujista harjoittelun jälkeen matolta noustessaan.

Pidä kavereistasi huolta!

Teksti: Kaisa Karvonen • Kuva: Sinikka Leino

UKK-instituutin johtaja, lääketieteen tohtori Tommi Vasankari luennoi Nivelverkon vieraana huhtikuussa Naantalissa. Hän korosti, että paras henkivakuutus itsellemme on pitää parhaista kavereistamme huolta. Tällä hän tarkoitti oikeaa ja vasenta reisilihasta, joiden avulla noustaan vaikka tuolilta seisomaan. Oletko itse testannut, pääsetkö vaivatta nousemaan tuolilta ylös? Mieluiten vielä käyttämättä käsiä apuna?

Kun puhutaan nivelrikon hoidosta, niin liike on edelleen se tärkeä lääke. Tommi Vasankari havainnollisti sanontaa kertomalla omista kokemuksistaan ja kuinka hänelläkin on urheilijauran jäljiltä kulumaa jaloissa. Mutta liike ei ole loppunut, kun on huolehtinut itselle sopivista kengistä. Luennolla Vasankari korosti sitä, että ihminen itse on oman nivelen paras asiantuntija. Kaikki neuvot eivät toimi jokaiselle ja henkilö itse tietää, mistä kulunut nivel ottaa nokkiinsa. Niinpä henkilöä itseään tulisi aina kuunnella ja sen myötä tukea häntä esimerkiksi sopivan liikuntalajin valinnassa.

Jäikö luento välistä? Tommi Vasankarin luento on katsottavissa www.nivelverkko.fi -sivustolla. Suora osoite luentotallenseen on www.nivelverkko.fi/tallenteet/laakkeenaliikunta

Tommi Vasankari luennoi

Kevään tapahtumia

Pientä paperia etsimässä

Teksti: Kaisa Karvonen

Geokätköilyssä haetaan pieniä kätköjä maastosta koordinaattien perusteella. Se on tutkimista sekä löytämisen iloa samalla kun saa huomaamatta liikuntaa. Tähän maailmaan pääsimme keväällä tutustumaan, kun Nivelyhdistys järjesti kaksi kokeilukertaa. Ensimmäisellä kerralla Nivelterveysviikolla tutustuimme geokätköilyn perusteisiin ja haimme muutamia harjoituskätköjä pienryhmissä. Nämä eivät olleet virallisia, mutta saimme osviittaa siitä, miten pitäisi etsiä. Reilun parinkymmenen osanottajan kanssa ulkoilimme kuulaassa kevätilmassa Maarian kirkon ympäristössä etsien kätköpurkkeja, joiden sisään kirjaisimme nimemme pienelle paperille.

Osa huhtikuun osallistujista toivoi jatkoa kerralle, joten toukokuussa lähdimme hakemaan kätköjä Aurajoen rannasta geokätköily-sovelluksen avulla. Nyt kokeilimme kätköjä, missä osassa piti ratkaista arvoituksia. Näiden avulla saisimme lopulliset koordinaatit purkille, jonka sisään jokainen löytäjä sai nimimerkkinsä laittaa. Aurinkoisessa kelissä katosi taas pari tuntia nopeasti, kun ratkoimme vihjeitä kulkien jokirataa pitkin. Osa osallistujista taisi saada kimmokkeen uuteen harrasteeseen kevään illoissa.

Jäikö kevään kätköilyillat välistä tai haluaisitko tutustua aiheeseen lisää?

Syyskuussa meillä on tarjolla vielä kaksi kertaa, jolloin saa lisätietoa erilaisista kätköistä.

Ensimmäisellä kerralla tutustutaan tarkemmin mysteerikätköihin ja niiden ratkaisemiseen. Toisessa tapaamisessa kierretään Adventure Labeja, joissa kuljetaan jokin valmis reitti ja ratkotaan matkan varrella olevia kysymyksiä. Molemmat kerrat ovat i Tarkemmat tiedot voit lukea tapahtumakalenterista sivulta 18.

Ma 9.9. klo 17 Mysteerikätköt geokätköilyssä -vinkkejä ja neuvoja mysteerikätköjen ratkontaan.

To 19.9. klo 16 Adventure Lab -tutuksi

Marjon polven tekonivelen 20 v bileet

Teksti: Marjo Suominen

Sain kevät-talvella kuningasidean järjestää mun ekan tekonivelen 20 v. juhlat. Tuli kova hoppu, kun yhdistys näytti idealle vihreätä valoa ja kun aikaa ei järjestelyihin ja tiedottamiseen ollut kuin reilut kaksi viikkoa. Päivämäärä uudelle tekarille oli neljäs maaliskuuta kaksikymmentä vuotta sitten.

Tilaisuuteen järjestettiin paikalle tuoretta vertaistukea antamaan muutama viimevuonna uuden tekonivelen saanut henkilö, sekä yhdistyksen liikuntatoimikunnasta fysioterapeutit

Anneli, Paula ja Anne liikuntaneuvoja antamaan. Toimiston väki oli myös paikalla.

Oli mukava yllätys, että tilaisuus sai liki 40 osallistujaa paikalle moikkaamaan meitä ja nauttimaan toistemme seurasta, kahvista ja vasta leivotuista kakuista, pullista ja Saaristolaislimpusta. Iloinen puheensorina täytti toimiston ja antoi onnistumisen tunteen. Kiitos yhdistykselle, kun sain toteuttaa tilaisuuden ja kiitos sinulle kun tulit!

Geokätköilijät Maarian kirkolla

Marjon tekonivelen kunniakirja ja juhlavieraita

Anna-Maj Blomgren koul. hieroja, Helmenloiste Näätäpolku 10, Raisio, www.helmenloiste.fi p. 0456706555, hieronta -10 %.

Armi Aktiivituoli

https://armi-aktiivituoli.fi/tilaa-armi/ Koodilla TSNY - 10 %.

Asianajotoimisto Kailiala Oy Tuureporink. 6, p. 02 284 3400 www.asianajotoimistokailiala.fi. Edunvalvontavaltuutuksen tai testamentin laatiminen -15 %.

Askelklinikka

Sibeliuksenkatu 3. p. 0201122420. www.askelklinikkaturku.fi. Alaraajatutkimuksesta -10 %

Axis Fysikaalinen hoitolaitos

Aninkaistenkatu 14 b, p. 02 533 2279, www.axisfysio.fi. Hieronnasta, fysioterapiasta ja lymfaterapiasta -10 %.

Brinkkalan Outolintu

Vanha Suurtori 3, www.brinkkalanoutolintu.fi, norm.hintaisista tuotteista -10 %

Coronaria kuntoutus- ja terapiapalvelut Turku –Hansa Yliopistonkatu 20, 3 krs.

Ajanvaraus 010 525 8801. Fysioterapiasta ja hieronnasta -10 %.

Coronaria Naantalin Kuntokeskus Henrikinkatu 2, Naantali.

Ajanvaraus 010 525 8801.Fysioterapiasta, hieronnasta ja jalkojenhoidosta -10 %.

DentSpa Oy Suuhygienistipalvelut

Viilarinkatu 5, Länsi1. P. 044 989 9829, www.dentspa.fi. Norm.hintaisista hoidoista -10 %.

Driim-valmennukset

vuosilisenssi -50% koodilla NIVELDRIIM50. Palveluun voi tutustua maksutta: ensimmäiset videot valmennuksista pääsee katsomaan www.driim.fi/offers/RxAUrQAH?coupon_comaksutta.de=NIVELDRIIM50

EA-terveydenhoitomyymälä Yliopistonkatu 28, p. 045 6539111. www.ea.fi. Alennus -20 %.

Fysio Kyky Medishopin tiloissa, Länsi 1, Viilarinkatu 5, Ajanvaraus p. 020 155 0045. -15% fysioterapiasta ja hieronnasta.

Fysio R

Humalistonk. 17 a A5. P. 0400 158 540 www.turunreumayhdistys.fi/fysior/ Hoitohinnoista -10 %.

Fysioterapeutti Hanna Pihlajamaa Bastioninkatu 4, Skanssi. P. 0503263379, www.fysioterapeuttihanna.com. Yhteistyöhinnasto.

Fysioterapia- ja hierontapalvelut Relaxion Turku: Impivaara, Uimahallinpolku 4, Kaarina: Pyhän Katariinan tie 11, Littoinen: Luhakatu 1. www.relaxion.fi, p. 02 638 0100.Fysioterapiasta -10 %. Heleä Training P. 0456300274, www.personaltrainerturku. net.Henk.koht. valmennuksista -15 %, 30 min. maksuton pt-tapaaminen.

Hiukset Ada & Olexi

Rauhankatu 8 a. P. 02251 0102, www.adaolexi.fi. Parturi- ja kampaamopalveluista -10 %.

HMfysio Hanna Malmi Yliopistonk. 26 B, Trinitas Lääkäritalo p. 044-010 2716, hanna.malmi@hmfysio.fi Fysioterapia- ja personal trainer-palveluista -10 %.

Holiday Club Caribia Kylpylän käyttö ma-su 15 €/hlö (ei koulujen lomaviikkoina eikä arkipyhinä). Kuntosali ja vesijumppa 44 €/10 krt kortti (+uusi sarjakrt 8 €).

Insinööritoimisto Jorma Saloniemi, Bonus Liukuesteet ja -pohjalliset Tampere. P. 03 2657 485, www.bonuskalossit. com. Bonuskalosseista -10 %.

Instrumentarium Lieto

Hyvättyläntie 2, p. 020 332 877

Instrumentarium Parainen Rantatie 12, p. 020 332 878

Instrumentarium Raisiontori Raisiontori 5, p. 020332763

Norm.hintaisista silmä- ja aurinkolaseista -30 %. Näöntark. ja silmälasimääräys veloituksetta. Myös perheenjäsenille.

Jäsenedut 2024

Katso tarkemmat tiedot jäseneduista osoitteesta www.nivelposti.fi/jasenedut

Jalkahoitola Jalka-Onni

Tuureporinkatu 6 ja Vilhonkatu 23, Salo. www.jalkaonni.fi p. 040 9688090 Hoidoista -10 %.

Jalkahoitola Lyhde

Lyhdetie 2, Rusko, P. 0503645694, www.jalkahoitolalyhde.fi. Jalkahoidoista -15 %.

Jalkaneuvola Fysiopaletti

Yliopistonk. 26, p. 040 501 7828. www.fysiopaletti.fi. Palvelut ja tuotteet -10 %.

Jalkineliike Stella

Humalistonk. 4, p. 044 0251122

Norm.hintaisista tuotteista -10 %.

Jalkojenhoitaja Pirjo Korpi, Turun Jalkaklinikka Aninkaistenkatu 16, p. 040 728 8202. Erikoistunut diabeetikon jalkojenhoitoon. Jalkahoito 65 €.

Jalkojesi hoitaja Nina Tuureporinkatu 6, p. 044 986 6128. www.jalkojesihoitaja.fi. Jalkahoidot -10 %.

Johannan jalkahoito

Tuureporinkatu 6, p. 045 7838 7077. www.johannanjalkahoito.fi. Hoidoista -10 %.

Kalustexpert Oy Viilarinkatu 5, Länsi1. www.kalustexpert.fi P. 0451173550. Kiintokalusteista - 20 % (ei koske kodinkoneita, kivitasoja, liukuovia).

Kasvo- ja jalkahoitola Maaret Potinkara Eerikinkatu 2 E (7. krs). P. 040 5920521. Hoidoista -10%.

Kello- ja kultaliike Teppo Lampi Sibeliuksenkatu 7 Tuotteesta riippuen 10-20 %.

Kenkäkauppa Alina Alinenkatu 36, Uusikaupunki www.alina.fi Norm.hintaisista kengistä -10 %.

Koulutettu hieroja Juho Ojala Puutarhakatu 17 A 32 (Satama Wellness). P. 0445270270, tmi.juholle@gmail.com. https://avoinna24.fi/satamawellness/reservation - 10% myös sarjahoidoista.

Lakiasiaintoimisto Siro Linnankatu 1 B 6, p. 02 2522242. siro@sirolaw.fi, www.sirolaw.fi. Betjäning även på svenska. Asianajopalkkioista - 15 %. Liedon Fysioterapia, Hieronta ja Lonkkakeskus Krouvilaituri 3, Lieto. P. 050 4707395. info.liedonfysioterapia@gmail.com www.liedonfysioterapia.fi, www.lonkkavaiva.fi Alennus -10 %.

Medishop

Länsi1, Viilarinkatu 5, Turku p. 020 155 00 42, www.medishop.fi Kaikista tuista sekä tukisukista -15%. Tarjous voimassa ainoastaan Turun myymälässä. M.R -

Atk Tmi P. 040 7046011, mika.rajala@mr-atk.fi. Alennus -5 %.

Merineule Oy Alennus -10 % normaalihintaisista, Merineuleen omista tuotteista.

Movet Kuntokeskus Satakunnantie 105. www.movetclub.fi, p. 044 2375246.Aloitus 0 €. Hinnat alk. 34,90 €/kk.

Movet Ladies Kuntokeskus

Kurjenmäenk. 3. www.movetladies.fi, p. 0407758427.Aloitus 0 €. Hinnat alk. 44 €/kk.

Muotitalo Marilyn Humalistonk. 13. www.muotitalomarilyn.fi Norm.hintaisista tuotteista -20 %.

Jäsenedut ovat voimassa jäsenkorttia näyttämällä. Jäsenkortin voi ladata myös puhelimeen.

Naantalin kylpylä

Sauna- ja allasosaston käyttö -30 % päivän hinnasta (pl. aatot, juhlapyhät, heinäkuu, viikot 8 ja 52).

Naisten alusvaateliike Wau lingerie Yliopistonkatu 26, www.waunainen.fi. Norm.hintaisista tuotteista -10 %.

Naisten vaateliike Z.Woman Pyhän Katariinan tie 4, Kaarina. www.zwoman.fi, P. 040 080 6681. Norm.hintaisista tuotteista -15 %.

Niveltieto-lehti

Vuosikerta -30 % (23,10 €). Tilaukset ottamalla yhteyttä toimistoon.

Onnipyörä

Turku: Länsikeskus, Viilarinkatu 1 ja Puutarhakatu 40. www.onnipyora.fi. -5 % polkupyörätarvikkeista ja polkupyörien kausihuollosta.

Optikko Näkö Forum

Humalistonkatu 7 A, p. 02 2331573. Norm.hintaiset silmälasit -50 % myös perheenjäsenille.

Paimion Kenkätaivas

Vistantie 19, Paimio. P. 040 7710795. Norm.hintaisista tuotteista -10 %.

Roberts Berrie www.robertsberrie.com

Verkkokaupasta -10 % koodilla TSNY.

Ruissalon kylpylä

Sauna- ja allasosaston käyttö -30 % päivän hinnasta (pl. aatot, juhlapyhät, heinäkuu, viikot 8 ja 52).

Sanoma Media Oy

Aikakauslehdet etu -40%

Etu koskee määräaikaista vuositilausta. https://tilaa.sanoma.fi/kumppanietu

Sissi Fysio

Hämeenkatu 16, p. 044 2601608. www.sissifysio.fi. Yhteistyöhinnasto.

St. Erikin Lääkintävoimistelu Yliopistonkatu 26 B, p. 02250 1300. www.sterikinfysioterapia.fi. Alennus -10 %.

Teboil Turku Runosmäki

Tampereen valtatie 106, p. 02238 2305 www.teboil.fi/asemaverkosto/turku/turku-runosmaki. Lounaspöytä arkisin -10 %.

Tempur Brand Store-myymälät Turku (Eerikinkatu 9) ja Raision Mylly. Alennus -10 %.

Terveydenhoitomyymälä Profylaktia Yliopistonkatu 32, p. 022505059. www.profylaktia.fi. Alennus -10 %.

TTC-Charter www.ttc-charter.fi, p. 0500370000. Päiväretkistä -5 € (pl. Turun tapahtumat).

Tuulensuun Kukka

Karjatie 5 B, Lieto. P. 0400 552120 Alennus -10 %.

VENYY-tanko

P. 040 772 4004, www.venyy.com Alennus verkkokaupasta 10 € koodilla TSNYVENYY.

Wiklundin apteekki

Turku, Sokos Wiklund tavaratalon katutasossa -10 % norm.hintaisista vapaakaupan tuotteista

Xsensible-jalkineliike

Yliopistonkatu 26, p. 040 501 7828. www.fysiopaletti.fi. Jalkineista -10 %.

UUSI
UUSI
UUSI

• Nivelrikko • Rasitusvammat

Ota niskalenkki kivustasi

• Hermokivut • Lihas- ja nivelkivut

• Kulumat • Haavat • Akne

B-Cure Laserin on kliinisesti todistettu lievittävän laajaa kirjoa erilaisia kipuja ja edistävän kudosvaurioiden ja tulehdusten paranemista. Suomessa apua vaivoihin saadaan jo tuhansissa kotitalouksissa, ja laitetta hyödyntävät myös kipuklinikat, haavahoito sekä fysio- ja lymfaterapeutit.

Akuutin ja kroonisen kivun hoitoon käytettävän laserterapian pitkäaikainen kivunlievitysvaikutus perustuu kivun lähteen hoitoon. Terapia vahvistaa oireilevan kudoksen toimintakykyä, jolloin alueella vallitsevan tulehduksen tai vaurion luonnollinen paraneminen edistyy. Kliiniset tutkimukset osoittavat terapian tehoavan mm. akuuttiin ja krooniseen lihas- ja nivelkipuun, erilaisiin kulumaja hermokipuihin, sekä edistävän haavojen ja tulehdusten paranemista (mm. nivelrikko, jännetulehdukset, urheiluvammat, TMD). Terapiaa suositellaan myös Suomen Käypä hoito -suosituksissa.

Käyttäjät kiittävät

Aidot käyttäjäkokemukset kertovat terapian monipuolisuudesta.

• Jussi Murtomäki, Helsinki: ”Minulla on kaularangan kulumisen vuoksi asennettu implantti nikamien väliin. Olen kuitenkin jo 6 vuotta kärsinyt pahoista hermokivuista niska-hartiaseudulla. Olen kokeillut kaikenlaisia kivunlievitysmenetelmiä ja B-Cure Laser on se, joka todella rauhoittaa kipua ja pitää sen pois. Käytän sitä myös sormien nivelrikkokipuun. En tiedä miten selviäisin ilman!”

• Kent Nordström, Loviisa: ”Olen nuoresta asti harrastanut tennistä. Muutama vuosi sitten alkoi käden ylös vieminen vaikeutumaan ja syöttäminen muuttui tuskalliseksi. Ilman B-Cure Laseria olisin joutunut lopettamaan pelaamisen.”

• Hannu Eloranta, Helsinki:

”Minua vaivasi pitkään ikävä tenniskyynärpää. B-Cure Laserilla kipu lievittyi heti ensimmäisellä hoitokerralla ja kun jatkoin hoitoa, toipui kyynärpääni parissa viikossa.”

• Ann-Mari Reinson, Tampere: ”Kaaduin vuosia sitten pyörällä ja polveni vääntyi pahasti. Lääkärit eivät löytäneet mitään korjattavaa ja ennustivat kipujen seuraavan minua loppuelämän. Hankin B-Cure Laserin, jonka avulla olen voinut jättää kipulääkkeet kokonaan pois. Mahtavaa, että on tällainen lääkkeetön vaihtoehto kivunhoitoon!”

Tuija Manninen hoitaa laserilla selkäranganahtauman aiheuttamia kipuja ja sormien moninivelrikkoa.

Turvallinen

• Riitta Pehkonen, Kerava: ”Olen vuosia kärsinyt iskiaskivusta, joka on pitänyt minua öisin hereillä. Lääkärissä minulle on vain annettu kipulääkkeitä, kun muita keinoja ei ole keksitty. Onneksi löysin B-Cure Laserin, jonka avulla olen saanut kivun pois.”

Turvallinen ja edullinen kotikäytössä Koska B-Cure Laserin teho perustuu kudoksen ja solujen oman toiminnan parantamiseen, parhaat tulokset saadaan kuurinomaisella hoidolla. Kotikäyttöön suunnitellut B-Cure-laserlaitteet ovat helppokäyttöisiä ja turvallisia, ja ne sopivatkin koko perheen käyttöön. Terapialla ei ole vasta-aiheita; sitä voi käyttää tekonivelten, sydämentahdistimen tai muiden implanttien yhteydessä.

ja helppokäyttöinen

1. Käynnistä laser

2. Valitse aika (2–8 min.)

3. Kohdista kipukohtaan Paraneminen alkaa!

Ei kontraindikaatioita tai yliannostusriskiä.

Laitteen odotettava huoltovapaa käyttöikä on peräti 30 000 hoitokertaa, joten muutaman satasen arvoisen laitteen hoitojen hinnaksi jää vain muutama eurosentti. Laitetta voi myös vuokrata kokeiluun.

KLIINISESTI TUTKITTU

B-Cure Laserin tehosta on julkaistu 6 tuplasokkotutkimusta. Tutkimukset osoittavat mm. laitteen olevan kivunhoidossa kipulääkkeiden vertainen sekä edistävän haavojen paranemista. Tehokasta kivunlievitystä

iSatojajulkaistuja käyttäjäkokemuks a KÄYTTÄJÄT KIITTÄVÄT

Tuotetta myy Terveystekniikka. Lisätietoa teknologiasta, varmistettuja käyttäjäkokemuksia, tutkimuksia ja nettikauppa: www.terveystekniikka.fi | puh. 030 635 8332

Jo tuhannet suomalaiset kotitaloudet käyttävät B­Cure Laseria mitä moninaisimpiin vaivoihin. Nettisivuiltamme voit lukea käyttäjien omia kertomuksia sekä blogista ammattilaisten kokemuksia.

Vuoden terveystuote 2022

B-Cure Laser valikoitui Parhaaksi Laitteeksi kommentein ”Laserointi lievitti nivelrikosta kärsivien sormien kipuja jo viikossa. Sen ansiosta yöunet eivät enää keskeytyneet.”

MAINOS
MAINOS

Turn static files into dynamic content formats.

Create a flipbook
Issuu converts static files into: digital portfolios, online yearbooks, online catalogs, digital photo albums and more. Sign up and create your flipbook.
Nivelposti 2/2024. by Turun Seudun Nivelyhdistys - Issuu