PZ24_08.12.2022

Page 94

Musik sprengt alle Grenzen Sie machte das Hobby zum Beruf Birgit Mair am Tinkhof Johann Hilber Claudia Sieder Die Unverwüstliche Ausgabe 24/2022 Die Versöhnung In Gedenken an Tesselberg BRUNECK, 8. Dezember 2022, JG. 34, NR. 24-850/2022 erscheint 14-tägig, EZLNR. 0,77 EUROPoste Italiane SpAVersand im Postabonnementges. Dekr. 353/2003 (abg. in Ges. 27/02/2004 Nr. 46) Art. 1, Komma 1, NE BOZEN, ISSN 2532-2567 Sonderthemen Advents- und Hüttenzauber
BESTE MARKEN BESTER SERVICE BESTE BERATUNG Einkaufen, Rubbeln, tolle Preise gewinnen! Reisegutschein im Wert von 2.000.– € Einkaufsgutschein Elektro Reichhalter zu 1.000.– €, IPhone 13 Kaffeemaschine Jura, Airwrap Multi-Haarstyler Dyson Notebook Acer, Benzingutschein zu 300.– €, Elektro Roller Saugroboter, Monneycard zu 200.–€ und viele Einkaufsgutscheine zu 5.–/10.–/20.– und 50.–€ Große Weihnachtslotterie WEIHNACHTEN 2022 DIE BESTEN A N G E B OT E S I N D N Ä H E R A LS SIE DENKEN . Geschenk Ideen Gewinnspielregeln auf: www.reichhalter.it –Aktion gültig bis 24.12.2022 in unseren Filialen in Brixen und Bruneck. Irrtümer, Satzund Druckfehler vorbehalten. Bilder
haben Beispielfunktion.

TITELTHEMA

Ein wichtiges Zeichen der Versöhnung: Die Razzia von Tesselberg 4 Der Sturm auf Tesselberg: „Es waren nich alle so bös“ 6

POLITIK & VERWALTUNG

Kolpinghaus Bruneck: Es geht voran 22 Enneberg: Gut durchdachte Familienpolitik 26

GESELLSCHAFT & MENSCHEN

Claudia Sieder: Die Unverwüstliche 28 MK Reischach: Pepi übergibt den Taktstock 30 Kirchenchor Aufhofen: Singen verbindet 31

MENSCHEN IM PORTRÄT

Birgit Mair am Tinkhof: Sie hat das Hobby zum Beruf gemacht 32

WIRTSCHAFT & UMWELT

Mittelschule Meusburger: Handwerk und Gastronomie Hand in Hand 38

VEREINE & VEREINSLEBEN

Percha: Verdiente Chormitglieder geehrt 40 Oachner Krampusumzug: Alter Brauch - neue Entwicklung 42

SONDERTHEMEN

Adventszauber 44 Hüttenzauber 75

KULTUR & KUNST

Blasorchester: Musik sprengt alle Grenzen 54 Toblach: Stürmisch durch den Dezember 57 Advent in Hochabtei: Besonders und zauberhaft 58

BILDUNG & SCHULE

WFO Innichen: Neuer Schwerpunkt „Tourismus“ im Sprachenprojekt 60 Literaturfestival 2023: Wir suchen Dich! 62

SPORT & FREIZEIT

HC Pustertal: Die Vorzeige-Schlussmänner aus Übersee 66 Yoseikan Budo: Ein Resultat mit Schmackes 70

SERVICE

Kreuzworträtsel 87 Kleinanzeiger 89 Veranstaltungen 94

IMPRESSUM

Sitz, Redaktion und Verwaltung: Oberragen 18, 39031 Bruneck, Tel.: 0474 550 830, Fax: 0474 410 141 Internet: www.pz-media.it Email: info@pz-media.it · Egtr. Trib. BZ Nr. 23/89 v. 2.10.1989

Erscheinung: 14-täglich; Verantw. Direktor: Reinhard Weger (Chefred.)

Sekretariat: Michaela Huber; Akquisition: Hans Paulmichl, Josef Tasser

Redaktion: Reinhard Weger, Dr. Willy Pöder, Dr. Judith Steinmair, Dr. Verena Duregger, Monika Gruber, Barbara Pöder, Dr. Johann Passler, Dominik Faller, Alexander Dariz, Dr. Egon Mair, Dr. Rudolf Gruber, Dr. Josef Willeit, Margareth Berger;

Grafik: Andreas Rauchegger, Kerstin Voigt; Herausgeber: Pustertaler Medien GmbH - Oberragen 18, 39031 Bruneck, Im PT-Abo vert. ROC-Nummer: 2717, ISSN 2532-2567

Mitglied der USPI (Unione Stampa Periodica Italiana)

Druck: Fotolito Varesco, Nationalstraße 57, Auer - hergestellt aus Papier von UPM, das mit dem EU-Umweltzeichen Reg.-Nr. FI/011/001 ausgezeichnet ist.

Ihre personenbezogenen Daten werden gemäß dem G.v.D. Nr. 196/2003, der EU-Verordnung 679/2016 (DSGVO) sowie dem G.v.D. Nr. 101/2018 verarbeitet. Die vollständige Aufklärung über die Verarbeitung Ihrer personenbezogener Daten und Ihre Rechte, wie z.B. das Recht auf Löschung, sind auf unserer Web site veröffentlicht: www.pz-media.it/datenschutz.html. Falls Sie die Puster taler Zeitung nicht mehr erhalten möchten, schreiben Sie uns dies einfach an folgende E-Mail Adresse: info@pz-media.it oder rufen Sie an: 0474 550830

KOMMENTAR

DER GEWALTSTURM AUF TESSELBERG

Im Titelthema der aktuellen PZ-Ausgabe haben wir ein Ereignis durchleuchtet, das in der Erinnerung vieler noch immer nachwirkt. Es geht um die Erstürmung von Tesselberg am 10. September 1964. Auf der Suche nach den „Puschtra Buibm“ überrannte damals eine über 1.200 Mann starke Militäreinheit den kleinen Bergort. Die „terroristi“ fanden sie nicht – doch für die Dorfbevölkerung endete dieser Einsatz beinahe in einer Katastrophe. Nur dank der Zivilcourage des da maligen Oberstleutnants Giancarlo Giudici, der sich einem Schießbefehl wider setzt hatte, kam es nicht zur ganz großen Katastrophe. Dem „Sturm auf Tessel berg“ waren verschiedene Anschläge vorausgegangen. Am 27. August 1964 flog bei Percha ein Jeep der Carabinieri in die Luft. Es gab vier Verletzte. Am 3. Septem ber 1964 wurde der Carabinieri-Beamte Vittorio Tiralongo in Mühlwald erschos sen. Am 9. September 1964 wurde hingegen ein weiterer Carabinieri-Jeep bei Sa lomonsbrunn in Antholz durch eine Miene in die Luft gejagt. Die Staatsmachte machte für diese Vorgänge die „Buschtra Buibm“ verantwortlich.

Da vermutet wurde, dass sich die „Puschtra Buibm“ in Tesselberg versteckt hiel ten, wurde der Bergweiler weiträumig umzingelt und zum Sturmangriff geblasen. Der Kommandant der Carabinierilegion Bozen, Francesco Marasco, erteilte dem damaligen Einsatzleiter, Oberstleutnant Giancarlo Giudici, schließlich den unfass baren Befehl, 15 Dorfbewohner von Tesselberg zusammenzutreiben, an die Wand zu stellen und zu erschießen. Anschließend sollte das Dorf angezündet werden. Ein unfassbarer Befehl! Man kann sich vorstellen, was das ausgelöst hätte. Giu dici aber gelang es, Marasco zu seinem Hubschrauber zu bugsieren und den To benden wegbringen zu lassen. Den Schießbefehl setzte er in der Folge nicht um und verhinderte damit ein Blutbad. Dennoch wüteten die Soldaten und Polizis ten. Die Dorfbewohner wurden zusammengetrieben. Es wurde geschossen, Hand granaten geworfen, Heuhütten und die Mühle des Kastnerbauern angezündet. Beim Oberplantaler wurde sogar ein taubstummes Mädchen angeschossen und liegen gelassen. Erst viel später wurde es von Adolf Lahner, dem Plontol-Adolf und einigen Männern, ins Krankenhaus von Bruneck gebracht.

Die Konsequenzen für Giancarlo Giudici folgten auf der Hand. Sie waren keines falls positiv. Bereits am nächsten Tag wurde er für seinen „Ungehorsam“ und die „Befehlsverweigerung“ nach Udine strafversetzt. Nun hat die Gemeinde Gais der Tochter von Giudici, der 1992 starb, am 29. Oktober 2022 im Rahmen eines klei nen Festaktes eine Ehrenurkunde überreicht. Die Rede geht von Maria Elisabetta Giudici, die auch selbst in Gais anwesend war. Die Initiative dazu kam übrigens vom tragisch verstorbenen Ehrenmajor der Schützen, Josef Kaser und der ehema ligen Landesreferentin sowie Historikerin Martha Stocker. Einen Tag vor der Eh rung wurde eine Informationsveranstaltung zu diesem Thema organisiert. Bei de Aktionen sind wichtige Zeichen und Schritte hin zu einer Versöhnung. Denn nur diese kann in einen Akt der Vergebung münden. Dafür braucht es beide Sei ten. Nun gilt es diesen Weg konsequent weiterzugehen.

3 INHALT & KOMMENTAR PZ 24 | 8. DEZEMBER 2022

Die Razzia von Tesselberg

Am Samstag, dem 29. Oktober 2022 wurde in Tesselberg ob Gais Frau Maria Elisabetta Giudici, stellvertretend für ihren Vater, Giancarlo Giudici, eine Ehrung zuteil. Der Carabinierigeneral hatte nämlich am 10. September 1964 in Tesselberg ein Blutbad verhindert. 15 Menschen wären beinahe erschossen und das Dorf angezündet worden.

Ein Blick zurück: 1964 ging es im Pustertal rund. Am 27. August fliegt bei Percha ein Jeep der Carabinieri in die Luft. Es gab vier Verletzte. Am 3. September wird der Carabinieri Vittorio Tiralongo erschossen. Am 9. September wird wieder ein Carabinie ri-Jeep bei Salomonsbrunn in Antholz durch eine Miene in die Luft gejagt. Wiederum werden fünf Carabinieri verletzt. Viele Anschläge wurden damals den vier Puschtra Buibm zugeschrieben. Einige wer den sie auch verübt haben, wenn sie auch nach eigenen Worten nie jemanden getötet haben. Wie der Puschtra Bui Siegfried Steger spä ter im Buch „Die Puschtra Buibm – Flucht ohne Heimkehr“ erzähl te, setzten sich die Puschtra Buibm nach dem letzten Anschlag in Antolz (Salomonnsbrunn) ab. Oberleiter und Steger in ihren Stütz punkt, Forer, Oberlechner und ein weiterer Mitkämpfer nach Tes selberg, wo sie sich in einem Heustadel versteckten. In einer großen Fahndungsaktion durchkämmten tausende Soldaten das gesamte Gebiet um Bruneck. Als ein Polizist einen Spirituskocher auf dem Balken eines Heustadels in Tesselberg entdeckte, alarmierte er die Einsatzkräfte. Als um Punkt 12 Uhr die Tochter des Mesners (Mesn Loise) die Mittagsglocke läutete, interpretierten die Soldaten dies als Warnung für die Puschtra Buibm. In der Folge kamen an die 1200 Soldaten nach Tesselberg. Alle Dorfbewohner wurden in der Folge aus ihren Häusern geholt und auf einem Platz zusammengetrieben. Den Männern wurden die Hände mit Handschellen auf den Rücken gebunden, und alle mussten sich auf den Bauch niederlegen. Ältere Männer, Frauen und Kinder im Dorfgasthaus eingesperrt. Dann wur den alle Häuser durchsucht. Es wurde geschossen, Handgranaten

SOZIALES & GESUNDHEIT 4 TITELTHEMA PZ 24 | 8. DEZEMBER 2022
EIN WICHTIGES ZEICHEN
VERSÖHNUNG
DER
Verena Duregger (vorne am Podium) hielt im Pfarrheim Gais einen Rückblick auf die Geschehnisse von 1919 bis 1972. Das Interesse war überaus groß. Carabinierigeneral Giancarlo Giudici: nachträgliche Ehre. Archiv Giudici

geworfen, Heuhütten und die Müh le des Kastnerbauern angezündet. Beim Oberplantaler wurde sogar ein taubstummes Mädchen angeschos sen und liegen gelassen. Später wur de es dann von Adolf Lahner (Plon tol-Adolf) und einigen Männern ins Krankenhaus Bruneck gebracht. Während dieser Aktion wurde der Kommandant der Carabinierile gion Bozen, Oberst Franco Mara sco, per Hubschrauber eingeflo gen. Er befahl 15 Dorfbewohner sofort zu erschießen und das Dorf niederzubrennen. Carabinierigene ral Oberstleutnant Giancarlo Giu dici weigerte sich aber diesen Be fehl auszuführen und ordnete dem Piloten an, den Oberst wieder weg zufliegen. Er wurde am Tag darauf nach Udine versetzt. In dem ganzen Chaos gelang es Sepp Forer, Hein rich Oberlechner und ihrem Beglei ter sich vom Stadel aus freizuschie ßen und zu fliehen.

VERDIENTE EHRE

68 Jahre sind seitdem vergangen. Oft wur de über diesen Vorfall geredet, erzählt und berichtet. Und oft schon wollte man dem Carabinierigeneral würdigen. Mittlerweile verstorben, wollte die Gemeindeverwaltung von Gais auf Initiative und in Zusammen arbeit mit Ehrenmajor der Schützen Josef Kaser und der ehemaligen Landesrätin und Historikerin Martha Stocker heuer ein Zei chen setzen und überreichte der Tochter des Oberstleutnant, Frau Maria Elisabetta Giu dici eine Ehrenurkunde. Am Samstag, dem

29. Oktober wurde diese bei der Tesselber ger Kirche im kleinen Rahmen übergeben. Frau Giudici war sehr gerührt und dankbar. Bereits am Vorabend der Ehrung veranstal tete die Gemeinde in Zusammenarbeit mit dem Jugendverein Slash und dem Bildungs ausschuss Gais eine Informationsveranstal tung zum Thema „Tesselberg 1964“. Verena Duregger, Autorin des Buches „Die Puste rer Buben - Eine Südtiroler Heimatgeschich te“, hielt im Gespräch mit Klaus Reichegger, Rückblick über die Geschehnisse in Südtirol von 1919-1972, mit besonderem Fokus auf die

Geschichte von Tesselberg. Frau Giudici, die auch diesen Abend besuchte, war die Freude über die Anerkennung ins Gesicht geschrie ben. „Keine Sekunde hat mein Vater es je mals bereut, so gehandelt zu haben, auch wenn er anschließend Schwierigkeiten hat te“, betonte sie und nutzte dann auch die Gelegenheit, um sich im Namen ihrer Fa milie ganz herzlich für die Wertschätzung zu bedanken. Josef Kaser ist nur wenige Ta ge nach dieser ihm so wichtigen Ehrung bei Holzarbeiten in Issing tödlich

SOZIALES & GESUNDHEIT 5 TITELTHEMA PZ 24 | 8. DEZEMBER 2022
// Alex
verunglückt.
Dariz
Der Pircherbauer Johann Mair mit dem zerschos senen Torbogen in der Hand. Er und seine Fami lie wanderten später nach St. Lorenzen ab. Das durchschossene Fenster, hinter dem sich Mathilde Mair befand und verletzt wurde. Fotos: Pfarrer Ambros Stampfl, aus Gemeindejournal Gais
>>
Idyllisch gelegen, das Dorf Tesselberg oberhalb von Gais. Dort spielten sich damals dramatische Szenen ab.

„Es waren nicht alle so bös“

10. September 1964: Auf der Suche nach den „Puschtra Buibm“ stürmt eine über 1.200 Mann starke Militäreinheit den kleinen Bergort Tesselberg. Die „Terroristi“ finden sie nicht – doch für die Dorfbevölkerung endet dieser Einsatz beinahe in einer Katastrophe. Nur dank der Zivilcourage von Oberstleutnant Giancarlo Giudici, der sich einem Schießbefehl widersetzt, kommt es nicht zur ganz großen Katastrophe. Nun hat die Gemeinde Gais der Tochter von Giudici, der 1992 starb, eine Ehrenurkunde überreicht.

Neugierig sei sie gewesen, sagt Maria Elisabet ta Giudici. Neugierig und gespannt darauf, wie sich der Ort, an dem sie als junges Mädchen ein einhalb Jahre verbracht hat, verändert hat. 1963 wurde Giancarlo Giudi ci nach Südtirol versetzt. Die Familie kam mit, so war es üblich. Er war in Leifers stationiert, Maria Elisabetta lebte mit ihren Geschwistern Serena und Antonio und Mam ma Zita in Bozen. Wenn sie heute an diese Zeit denkt, dann erinnert sie sich vor allem an Be gräbnisse. Viele seien es damals in Bozen gewesen. Von Carabinieri und Südtirolern, die in dieser Zeit der Bombenjahre umka men. Auch den nicht enden wollenden Zug an Trauergästen bei der Beerdigung von Luis Amplatz hat Giudici mit ihrer Mutter vom Fenster aus beobachtet. Ende Oktober war Giudici, die alle nur Bet ta nennen, mit ihrem Mann Giuseppe nach Südtirol gekommen, um eine Ehrung für ihren Vater Giancarlo entgegenzunehmen. Er hat bei der Razzia, die im September 1964 Tesselberg erschütterte, Zivilcourage bewie sen und dadurch wohl viele Menschen vor dem Tod bewahrt. Doch was ist an diesem verhängnisvollen Tag in dem kleinen Wei ler oberhalb von Gais eigentlich passiert?

DIE BOMBENJAHRE

1964 steckt Südtirol mittendrin in den soge nannten Bombenjahren. Jener Zeit, in der Bomben gelegt und Masten gesprengt wur den, in der Südtiroler, die gegen die Über macht der Italiener kämpften, im Gefängnis saßen und in der es der Politik nicht gelang, endlich Ruhe in die Sache zu bringen. Im

Juli dieses Jahres waren gerade die Urtei le im Mailänder Sprengstoffprozess ergan gen; Sepp Kerschbaumer, der Kopf des Be freiungsausschuss Südtirol, war dabei zu einer hohen Haftstrafe verurteilt worden, die flüchtigen Südtirolaktivisten oder Freiheits kämpfer, wie sie sich nannten, zu teilweise noch viel höheren Strafen. Es hatte Zeichen der Annäherung gegeben, aber für die Puste rer Buben, jene vier Männer, die in der Feu ernacht zum ersten Mal aktiv wurden und seither verschiedene Anschläge verübt hat ten, stand weiter fest: Wir müssen etwas tun.

CARABINIERI-MORD IN MÜHLWALD

Als in der Nacht vom 3. auf den 4. Septem ber in Mühlwald der Carabiniere Vittorio Ti ralongo erschossen wird, ist die Jagd auf die Pusterer wieder eröffnet. Sie selbst distan zieren sich seit jeher von diesem Verbrechen. Die Folgen für die Bevölkerung sind gravie rend. Fast 500 Menschen werden in den um liegenden Ortschaften von einem Heer von Polizisten festgehalten. Oberst Francesco Marasco, Kommandant der Carabinieri-Le gion Bozen, leitet die Aktion. Sein Ziel: die

omertà, das Schweigen, zu brechen. Heute gilt es als historisch gesichert, dass unmittelbar nach dem Mord in der Bozner Quästur ein Treffen anberaumt wird, bei dem die Verantwortlichen als Vergeltung die Ermordung zweier Aktivisten beschlie ßen. Auf der Brunner Mahder im Passeiertal hat man Luis Amplatz und Jörg Klotz in eine Falle gelockt. Christian Kerbler, ein Agent des Geheimdienstes, führt den Auftrag aus und schießt auf die beiden. Amplatz stirbt, Klotz gelingt schwer verletzt die Flucht. Die ses Ereignis trifft die Pusterer Buben bis ins Mark. Luis Amplatz war für sie kein Unbe kannter. Nur wenige Tage zuvor hat er Kon takt zu ihnen aufgenommen, weil er mit ih nen gehen wollte.

MINE IN ANTHOLZ

Bei Antholz legen die Pusterer eine Mine aus und sprengen am 9. September einen Poli zeijeep von der Straße. Es gibt fünf Verletz te, einer davon schwer. Dann macht sich die Gruppe auf den Weg zurück zu einem der Verstecke, die sie an verschiedenen Stellen im unwegsamen Gelände eingerichtet ha

SOZIALES & GESUNDHEIT 6 TITELTHEMA PZ 24 | 8. DEZEMBER 2022
DER STURM AUF TESSELBERG
Tesselberg oberhalb von Gais – ein Postkartenidyll: Die Geschehnisse des 10. September 1964 wirken bis heute nach.

ben. Sie teilen sich auf, so wie sie es öfter tun. Sepp Forer, Heinrich Oberlechner und ein dritter Mitstreiter, dessen Identität bis heute nicht aufgedeckt ist, legen in einem Heustadel unterhalb von Tesselberg eine Pause ein. Was sie nicht wissen: Längst ha ben die Verantwortlichen Hundertschaften zusammengezogen, um das Gebiet um Tes selberg abzusuchen. Hier, so die Vermutung, könnten die „terroristi“ nach den Anschlä gen vorbeikommen. Als Sepp Forer am spä ten Vormittag zum Heustadel raussieht und zwei Fallschirmjäger am Waldrand wahr nimmt, kommt es zum Schusswechsel. Die Pusterer stürmen hinaus.

DER GROSSEINSATZ IN TESSELBERG

Während die Suche nach ihnen in den um liegenden Wäldern in vollem Gange ist, wird in Tesselberg ein Brauch getätigt, der in je dem Dorf zur damaligen Zeit üblich ist. Das Zwölferleuten signalisiert jenen auf den Fel dern, dass es Zeit ist, zum gedeckten Tisch zu kommen. Das Militär interpretiert es aber als Warnung an die Terroristen. Nur wenig später bricht in Tesselberg die Hölle los. 120 Einwohner leben 1964 in dem Weiler; zehn Mal so viele Uniformierte sind nur we nig später vor Ort. Häuser werden durch sucht und geplündert, Handgranaten hin

eingeworfen, Heustadel angezündet und die Dorfbevölkerung zusammengetrieben.

Die männlichen Dorfbewohner werden auf einem Platz zusammengetrieben und mit dem Gesicht nach unten an Händen und Fü ßen gefesselt.

Aber schlimmer noch: Francesco Marasco, für seine harte Gangart bekannt, landet mit einem Hubschrauber in Tesselberg und er teilt Oberstleutnant Giancarlo Giudici, der die Aktion vor Ort leitet, einen unfassbaren Befehl: 15 Dorfbewohner solle er erschie ßen und dann das Dorf anzünden. Giudici gelingt es, Marasco zum Hubschrauber zu bugsieren. Den Schießbefehl setzte er nicht um. Die Konsequenzen folgen auf der Hand: Noch am nächsten Tag wird Giudici nach Udine versetzt.

Mathilde Mayr, 22 Jahre alt, wird bei der Raz zia angeschossen. Erst am folgenden Tag kommt ein Arzt ins Dorf, um sie zu versorgen und ins Krankenhaus zu bringen. Sie über lebt, erholt sich aber nach Angaben ihrer Verwandten nie mehr ganz von den Verlet zungen und stirbt schließlich an den Folgen.

DIE NACHWEHEN WIRKEN BIS HEUTE

Norbert Pichler ist 1964 in Reschen statio niert und wird zur Verstärkung nach Bru neck beordert. Er wundert sich über die

MARIA ELISABETTA GIUDICI: „SEHE SÜDTIROL JETZT MIT ANDEREN AUGEN “

Panzer, so erzählt er es später, die in Auf hofen an der Straße stehen und deren Ka nonenrohre Richtung Amaten und Tessel berg zeigen. „Niemand hat meine Kollegen und mich im Detail darüber informiert, was der Grund des Einsatzes war. Wir wussten nicht, ob wir eventuelle Verstecke suchen oder auch besonders aufpassen sollten.“ Im Ort bekommt er mit, wie manche der Mili tärs mit den Menschen umgehen. „Das tut mir bis heute leid”, sagt er einmal, „aber es waren nicht alle so bös.”

Am Abend werden die ersten Tesselberger ins Tal gebracht. Hintereinander und rechts und links von Jeeps eskortiert, müssen die Dorfbewohner nach unten laufen. Daran er innern sich noch heute viele Menschen, die entlang des Weges wohnten. Die Tesselber ger werden auf Lastwagen verladen und zum Verhör nach Bruneck und Mühlen gebracht, wo einige von ihnen acht Tage festgehalten werden. Zum Verbleib der Pusterer kann nie mand eine Aussage machen.

PZ: Maria Elisabetta, Sie haben eineinhalb Jahre in Bozen gelebt und waren vor 22 Jahren zum letzten Mal in Südti rol. Wie war es, wieder hier zu sein?

Maria Elisabetta Giudici: Als ich in den 60er-Jahren hier lebte, waren die Beziehungen zwischen Italienern und Deutschen nicht gut. Ich erinnere mich an viele Beerdigungen in dieser Zeit, an To te auf beiden Seiten. Als mein Vater nach Bozen versetzt wurde, musste ich meine Schule in Rom mitten im Schuljahr verlassen. Das war hart. Hier besuchte ich die italienische Schule, aber der Unterricht war meistens auf Deutsch und ich verstand nichts. In den Pausen stand ich alleine herum. Meine Erinnerungen an Bozen sind in dieser Hinsicht ziemlich traumatisch. Auch, weil mein Vater als Mitglied der Polizei im Einsatz und damit einer Gefahr ausge setzt war. Mein Besuch jetzt hat meine Sicht auf Südtirol verändert.

Inwiefern?

Ich dachte immer, dass das, was 1964 passiert ist, Terrorismus war. Nun glaube ich, dass die Attentate von damals Patriotismus waren. Natürlich habe ich mich gefreut, dass meinem Vater diese Ehrenurkunde überreicht worden ist. Aber durch meinen Besuch habe ich verstanden, dass die Südtiroler Kultur eine ganz andere ist. Alleine die andere Sprache… Damals war ich elf Jahre alt und hatte einfach Angst um meinen Vater. Heute verstehe ich, dass es Menschen gab, die die Situation nicht so hinnehmen wollten.

Erst 1991 erzählt Giancarlo Giudici in einem Interview, was aus seiner Sicht in Tesselberg vorgefallen ist. Dieses Nein von damals kos tete ihn seine Karriere und das wusste er”, sagt seine Tochter Maria Elisabetta Giudi ci, „aber er hätte sich immer wieder so ent schieden.”

Die Angst war nicht unbegründet. Im Dienstfahrzeug von Giancarlo Giudici war einmal eine Bombe platziert. Mein Vater war in Leifers stationiert. Als er mit seinem Fahrer ins Auto steigen wollte, fand dieser eine riesige Zeituhr. Mein

SOZIALES & GESUNDHEIT 7 TITELTHEMA PZ 24 | 8. DEZEMBER 2022
Maria Elisabetta Giudici war elf Jahre alt, als ihr Vater Giancarlo Giudici nach der Verweigerung des Schießbefehls in Tesselberg strafversetzt wurde. Wie sie Südtirol erlebte und wie sich die Ent scheidung von damals auf ihren Vater ausgewirkt hat – im ex klusiven PZ-Interview.
>>

Vater verstand sofort und die beiden rann ten weg. Es war eine funkgesteuerte Bom be. Sie wurde vor der Kaserne kontrolliert gesprengt. Meine Mutter war damals regel recht terrorisiert, daran erinnere ich mich. Und an das Gefühl, voll auf der Seite mei nes Vaters zu sein.

Nach den Geschehnissen in Tessel berg wurde Ihr Vater am darauffol genden Tag nach Udine strafversetzt. Wie war das für Sie? Für mich war das ein Fest. Ich konnte nach Rom in meine Schule und zu meinen Freun den zurückkehren und habe mich deshalb sehr gefreut. Was es wirklich für ihn bedeu tet hat, habe ich erst später verstanden.

Erst 1991, ein Jahr vor seinem Tod, hat Ihr Vater Giancarlo öffentlich darüber gesprochen, was damals passiert ist. Für uns als Familie war Tesselberg im mer ein Thema. Alleine weil es seinen Weg so beeinflusst hat, haben wir ein Le ben lang darüber gesprochen. Mein Va ter war ein Mann der Prinzipien, für ihn war es schlicht nicht vorstellbar, öffent lich schlecht über die Polizei zu sprechen. Erst mit 40 Jahren habe ich erfahren, dass ihm General De Lorenzo den Auftrag er teilen wollte, mit 50 Carabinieri die Rai in Rom zu stürmen. Er hat gespürt, dass ein

DIE ANERKENNUNG

Für den kürzlich auf tra gische Weise verstor benen Josef Kaser, Eh renmajor des Südtiroler Schützenbundes, war es ein echtes Herzensanlie gen. Und wenn Kaser et was im Sinn hatte, dann konnte er sich lange da für einsetzen. Viele Male brachte er in der Gemein de Gais sein Anliegen vor: Oberstleutnant Giancarlo Giudici, der 1964 in Tes selberg einen Schießbe fehl verweigert und da durch Menschenleben gerettet hat, solle dafür eine Anerkennung erhalten. Ende Oktober war es schließlich soweit. In Tesselberg, jüngst an dem Ort, wo das Zwölferläuten, am 10. September eine Katastrophe in Gang gesetzt hatte, nahm Giancarlo Giudicis Tochter Maria Elisabetta stellvertretend für den verstor benen Vater die Ehrenurkunde entgegen. Bürgermeister Christian Gartner hatte die sen zuvor gewürdigt.

Putsch in der Luft lag. Dem hat er sich wi dersetzt. Auch das hat seine weitere Karrie re beeinflusst. Er wurde zwar General, hat aber nicht jene Aufgaben zugeteilt bekom men, die er normalerweise in dieser Posi tion gehabt hätte.

Es wurde ihm auch der Prozess ge macht?

In Udine angekommen, hat er während des ganzen Prozesses überhaupt keinen Auftrag zu erledigen. Zwei Jahre ging das, dann ist er sauber aus der Sache rausge kommen. Francesco Marasco hingegen, der

den Schießbefehl in Tesselberg erteilt hat te, wurde aus dem Heer geworfen.

Hat Ihr Vater den Einsatz in Tessel berg später kritisch gesehen?

Er sah, dass Carabinieri starben, das war schwer für ihn. Deshalb wollte er Einsät ze wie diese nicht beurteilen. Es war auch unmöglich, mit ihm über Politik zu spre chen. I militari sono tutti così. Es war aber undenkbar, dass er einen Befehl, unschul dige Menschen zu töten, ausführt.

// Interview: Verena Duregger

In Schützenkreisen wurde das Ansinnen Kasers von manchen auch kritisch gese hen. Dieser betonte, dass man als Schütze nicht das Gesicht verliere, wenn man einen Italiener würdige, der die richtige Ent scheidung getroffen habe. Am Vorabend des kleinen Festaktes besuchte Kaser zu sammen mit Maria Elisabetta Giudici noch eine Informationsveranstaltung, die Ge meinderätin Stephanie Auer im Pfarrheim

von Gais zum Thema organisiert hatte. Er sprühte förmlich voller Tatendrang und freute sich auf ein gemeinsames Abendes sen mit Giudici und deren Ehemann und die Verleihung am Tag darauf. Nur vier Tage später starb Josef Kaser an Herzversagen. Er wurde 72 Jahre alt. Tröst lich zu wissen, dass er diesen Wunsch, den er so lange gehegt hatte, noch in die Tat umsetzen konnte.

SOZIALES & GESUNDHEIT 8 TITELTHEMA PZ 24 | 8. DEZEMBER 2022
// vd
Nach den Geschehnissen in Tesselberg leitete Giancarlo Giudici (rechts) unter anderem das Sportzentrum der Carabinieri. Die Aufgabe gefiel ihm, war aber ein klares Zeichen dafür, dass seine Karriere kompromittiert blieb. Archiv Giudici Bewegender Moment: Maria Elisabetta Giudici und Christian Gartner. Der verstorbene Josef Kaser: Die Ehrenurkunde für Giancarlo Giu dici war sein Herzensanliegen.

Die Schließung des Dolomythos in Innichen

Beim „Fall Dolomythos“ handelt es sich nicht um ein einzig auf dieses Museum bezogenes Problem, sondern er betrifft unsere ge samte Gesellschaft. Es ist europaweit einzigartig, dass Beamte mit Pistolen in ein Museum ein dringen und Kinder in Panik bringen. Viel besser wäre es gewesen, wenn sie mit Vorschlägen ge kommen wären, wie wir unsere Gesell schaft verbessern können: Dass wir mehr in Forschung investieren müssen, wie wir ein anhand des Dolomiten-Welterbes verstehen lernen, wie sich der Aufstieg des Lebens vollzog. Wie Hohn klingt die Feststellung der Lan desämter, dass niemand die Schließung des Museums Dolomythos will, wenn gleichzei tig ein Schreiben, den „Übergabeaufforde rungen der noch in Ihrem Besitz befindli chen Fundstücke Folge zu leisten“, erfolgte. Die alten Indianer Nordamerikas prägten für solche Vorgehensweisen den Ausdruck „mit gespaltener Zunge sprechen“.

Ich habe einem Treffen mit dem Landes hauptmann zugestimmt, weil effektiv konst ruktive Gespräche zielführend sind. Es muss sich allerdings zeigen, ob es hier einzig und allein die Worte von Greta Thunberg gebrau chend, um ein „blablabla“ geht, oder mit ehrlichem Herzen versucht wird, an einem besseren Südtirol zu bauen.

Der Tag des Ehrenamtes

Am 5. Dezember wurde der Tag des Ehren amtes gefeiert. Zu diesem Anlass möchte ich den unzähligen Freiwilligen in Südtirols Amateursportvereinen meinen herzlichsten Dank auszusprechen. Südtirol ist nämlich ein Land des Ehrenamtes. Allein bei 500 VSS-Mitgliedsvereinen gibt es rund 12.000 ehrenamtliche Mitarbeiterinnen und Mit arbeiter. Die Ehrenamtlichen in den Sport vereinen ermöglichen, dass Jung und Alt, aber ganz besonders die Kinder und Jugend lichen, von Bewegung, Spiel und Sport als fundamentalen Bestandteil ihrer Lebenswel ten profitieren können und in ihrer persön lichen Entwicklung gefördert und gestärkt werden. Tausende Frauen und Männer setz ten sich dafür Tag für Tag mit viel Herzblut

Eule, Kuckuck und Drossel

PZ Nr. 22/2022 vom 10.11.2022

Vielfach wur den im Laufe der letzten Jahre Kul turgüter von Do lomythos abtrans portiert um sie in den Magazinräu me des Landes denkmalamtes für Jedermann zu verschließen.

Alle Bitten wei tergehende For schungen zu ermöglichen, wur den abgelehnt. Aber: Eine Ge steinsplatte könn te uns an Erkennt nis weiter bringen, als alle bisher in die Landschaft geschlagenen Ski pisten und Stra ßen. Es soll nicht der Eindruck entstehen, dass Forschung ein Werk des Teufels sei. Unsere Dörfer veröden zusehends, weil die Mächtigen der Städte mit Gier alles für sich beanspruchen, was ihnen Geld bringt. Ist es unmöglich, dass in unserer Dolomitendör fern, auf die wir alle stolz sind, keine Ein richtung überleben kann, welche alle von der Einzigartigkeit des Welterbes überzeugt. Jedes Original in einem Museum ist tau sendfach edler als alle Plastik- und grell leuchtenden Installationen. Die Zukunft unseres Landes misst sich daran, wie wir imstande sind unsere Schätze authentisch aufzuarbeiten, um alle Menschen damit zu erfreuen. Wir brauchen nicht mehr Betten, sondern bessere Kultureinrichtungen.

ein. Dazu hat jeder Verein bzw. jede Sektion noch unzählige Helferinnen und Helfer, die beispielsweise bei Vereinsveranstaltungen, bei der Pflege von Sporteinrichtungen mit helfen und damit wertvollste Hilfe leisten. Ohne diese Menschen, die sich ehrenamtlich einbringen, wäre die Arbeit der Vereine und des Verbandes der Sportvereine Südtirols in der heutigen Form nicht möglich. Die un zähligen, freiwillig geleisteten Arbeitsstun den sind für unsere Gesellschaft unersetz lich, unverzichtbar und unbezahlbar. Sie sind eine Investition in die Lebensqualität unserer Gesellschaft. Ein großes Ziel des VSS ist es, den Stellen wert des Ehrenamtes auch in Zukunft hoch zuhalten. Besonders die letzten Jahre haben klar gezeigt, wie bedeutend die ehrenamtli che Arbeit in allen Lebenslagen und -situa

PZ Ausgabe Nr. 22/2022 auf Seite 83: Wenn Eule , Kuckuck oder Drossel ihr Nest bau en…! Seit wann baut der Kuckuck ein Nest? Hoffentlich haben sie von Immobilien mehr Ahnung als von Ornithologie. Der Kuckuck legt nämlich die Eier in fremde Nester.

Seite 48: Kaiser Karl, der letzte Kaiser Ös terreichs, starb nicht auf Madera, sondern auf Madeira.

Anmerkung der Redaktion: Danke für den netten Hinweis, den wir auch gerne unseren vielen Leserinnen und Lesern zur Kenntnis bringen.

Ein Herzensprojekt der Brunecker Bevölkerung

Ende 2019 ging es mit der Gänselieslschen ke in Bruneck zu Ende, nun soll sie wieder errichtet werden. Die Besitzerin, die Frak tionsverwaltung Bruneck-Ort, geht dabei sorgfältig anhand der Vorgaben des Denk malamtes vor.

Die Initiative „Bruneck mitgestalten“ wurde in den Planungsprozess miteinbezogen, in dem sie die Stimmen der Brunecker Bevöl kerung sammeln und anschließend dem Pla nungsteam, bzw. der Fraktionsverwaltung weiterleiten wird. Als Vertreterinnen und Vertreter der Initiative möchten wir uns bei allen Beteiligten für ihr Vertrauen und ihren Einsatz bedanken. Das Ziel lautet Mitgestal ten, daran möchten wir festhalten und uns auch bei weiteren Projekten für Mitbestim mung einsetzen.

Christine Gasser Initiative Bruneck mitgestalten

tionen ist und wie das Ehrenamt besonders in schwierigen Situationen die Gemein schaft zusammenbringen kann, Solidarität schafft. Nirgends gelingt etwa Integration und Inklusion so leicht und spielerisch wie im Sportverein. Gemeinsam muss das Eh renamt weiter gestärkt und damit gleichzei tig für zukünftige Aufgaben und schwierige Situationen gerüstet werden. Vertrauen in die Menschen und ihrer Organisationen ist mehr denn je gefragt. Ich möchte stellvertre tend für den VSS allen ein aufrichtiges Dan keschön ausrichten. Von euren Leistungen, eurem Engagement, eurem Ehrenamt lebt unser Land und dafür verdient ihr unseren größten Respekt, unsere Wertschätzung und unseren Dank.

Günther Andergassen · VSS-Obmann

9 ECHO PZ 24 | 8. DEZEMBER 2022
Michael Wachtler

Die Jahresversammlung der Bauern des Bezirks Pustertal war nicht für den Toifltag, wie an dieser Stelle in der letzten Ausgabe irrtüm licherweise gesagt, sondern für den 6. Dezember, den Nikolaustag, anberaumt worden; für die gegenwärtige Ausgabe also zu spät, um darüber hier noch ausführlich informieren zu können. Nur so viel sei gesagt: Auf den Tätigkeitsbericht durch den Bezirksobmann An ton Tschurtschenthaler und der Leistungsbilanz zum bäuerlichen Notstandsfonds folgte die Verleihung der Erbhofurkunden durch Ar nold Schuler, Ressortchef für Land- und Forstwirtschaft (Bild 1a) Das Hauptreferat des Tages hielt hingegen die Bestsellerautorin, Mit arbeiterin von Radio Maria und hundertfach gebuchte Vortragsred nerin, Sr. Teresa Zukic vom Orden der Vinzentinerinnen. Sie nahm die Bauern bei der Hand und zeigte ihnen den Weg in eine erstre

benswerte Zukunft. Ihre Losung hierfür: „Vergesst nicht zu leben, zu lachen, zu lieben!“. Und weiter: „Wenn die Seele leidet, wird der Körper krank!“ Diese Wor te schrieb die Ordensschwester. Sie sind umso tiefsin niger, als dass sie, die studierte Pädagogin, an Gebär mutterkrebs erkrankt war. Im langen Kampf um ihr Leben musste sie sehr viel Leid ertragen. Letztendlich besiegte sie den Krebs – sie, die humorvolle, personi fizierte Lebensfreude! Er, der Krebs, habe sie gelehrt, die Menschen noch besser zu verstehen. So gesehen, sei er für sie ein Geschenk gewesen.

Demgegenüber standen Dauerbrenner wie Schulers „Bettenstopp“ und Hochgruber-Kuenzers „Ordnung für Raum und Landschaft“ seltsamerweise nicht auf der Tagesordnung; ebenso wohlweislich unterließ man es,

den Wolf aus dem Bau zu locken oder den eindösenden Bär aufzu scheuchen bzw. deren beider Gier nach Schafen (Bild 1b) und an deren Nutztieren zur Debatte zu stellen. Im Übrigen, so war im Vor feld des Bauerntages zu erfahren, war der Bezirksobmann mit dem Verlauf des Geschäftsjahres im Großen und Ganzen zufrieden, ein mal abgesehen von den enormen Schäden, welche der Borkenkä fer in Pustertals Wäldern bisher angerichtet hat und noch anrich ten wird, da die Plage andauert (Bild 1c) Übrigens: Die Frage, ob die jährliche Bauern-Veranstaltung in der postepidemischen Zeit wiederum zur Vollblüte früherer Jahre zu rückfand, als die Bundesgenossen den großen Saal des MichaelPacher-Hauses noch überfüllten, viele der Teilnehmer wegen Platz

mangels drinnen, sich draußen im Foyer mit einem Stehplatz begnügen und das Geschehen allein über Lautsprecher verfolgen mussten, kann an dieser Stel le ebenso wenig wie die Frage nach dem allgemeinen Tragen der eigens hierfür zusammengestellten Tracht beantwortet werden. Darum bemüht sich die Bezirks leitung seit mehreren Jahren schon, wenn auch mit mäßigem Erfolg. Diesbezüglich stellt das Feminine das Maskuline immer noch tief in den Schatten. Die Bäuerinnen tragen die Trachten in beispielhafter Ma nier (Bild 1d). Deswegen wird Anton Tschurtschenthaler, der Promotor der Initiative „Männer in Tracht“, nicht müde, die eloquente Trachtensprache der Bäue rinnen zu jeder passenden Gelegenheit in den Vorder grund zu rücken.

10
PZ 24 | 8. DEZEMBER 2022
AKTUELLES
// wp ZÜNFTIGES 1a.) 1b.) 1c.) 1d.)

Laut ISPRA (Istituto Superiore per la Produzione e Ricerca Ambien tale) streunen in Italien insgesamt zwischen 2.900 und 3.600 Wöl fe durch die Landschaft, davon halten sich in etwa 1.000 in den alpinen Regionen auf. Die Region Trentino-Südtirol bewirtet eine stattliche Anzahl davon. Die „autonomen“ Wölfe sind für zahlrei che Schafsrisse verantwortlich, aber auch größere Tiere wie Kälber wurden von den Beutegreifern angefallen, verletzt oder gar getö tet. Die Weidewirtschaft auf den zahlreichen Almen Südtirols sei dadurch arg gefährdet, klagen die Tierhalter. Umzäunungen sei en schon allein ob der Beschaffenheit des Geländes oft nicht mög lich, ganz zu schweigen von einer irgendwie noch vertretbaren Wirtschaftlichkeit. Dann wären da noch die Herdenschutzhunde, doch auch diese Variante vermag unsere Bauern weder zu über zeugen und schon gar nicht zu beruhigen. Demgegenüber treten sie für ein Wolfsmanagement ein. Damit meinen sie etwa nicht die Einrichtung eines runden Tisches oder einer langen Bank (Bild 2a) gleichsam als Orte der Begegnung und Beratung. Den Bauern schwebt vielmehr der Abschuss von Überschüssigem vor. Es beträ fe jedenfalls all jene Beutegreifer, welche über die Nutztiere herfal len, um sich selbst das Leben so leichter, es dem Bauern zugleich aber umso schwerer zu machen. Seit Jahren bemüht sich On.le Herbert Dorfmann, er tourt als EUParlamentarier für Südtirol zwischen Brüssel und Straßburg mit dem Ziel hin und her, endlich eine Aufweichung des Schutzstatus

von Wolf und Bär zu errei chen. Dadurch würde die Tür zur „Entnahme“ von Problemtieren wenigsten einen Spaltbreit aufgeris sen. Einen Teilerfolg er zielte der Onorevole von Volkes Gnaden vor drei Wochen, als eine Mehr heit der EU-Parlamenta rier eine von ihm vorge legte Resolution mittrug. Nun, so Dorfmann hinter her, sei die EU-Kommis sion am Zug. Die Resolu tion einfach ignorieren? Das könne sie sich wohl nicht erlauben. Dorfmann räumte allerdings ein, das Papier sei zwar ein ers ter Schritt in die richtige Richtung, doch des Prob lems Lösung sei es keines wegs. Zahlreiche Länder lehnten eine Aufschnü rung der Habitat-Richtli

nie und damit einhergehend des Wol fes Umsiedlung vom Anhang IV in den Anhang V der FFH-Richtlinie strikt ab. Dabei wäre die gegenständliche Maß nahme zwecks EU-weiter Regulierung der Wolfspopulation durch die Jäger schaft (Bild 2b) eine Voraussetzung hierfür. // wp

ZUM…UND DRITTEN

Der Hammer ist gefallen. Arno Kompatscher macht weiter. Das wollte seine Partei, die SVP, von ihm ursprünglich innerhalb 3. Dezember 2022 wissen. Die spätere Terminverschiebung nach hin ten um weitere zwei Wochen durch die Parteileitung wäre nicht notwendig gewesen, denn der amtierende Präsident der Autono men Provinz Bozen, Dr. mag. iur. Arno Kompatscher, respektierte die ursprüngliche Terminvorgabe. Er antizipierte diese sogar um einen Tag. In der Tat gab er seine Entscheidung zu Gunsten einer erneuten Kandidatur im Wahljahr 2023 noch am 2. Dezember be kannt. Es sei eine große Ehre für dieses Land arbeiten zu dürfen. Die große Verantwortung, die damit einherginge, möchte er im Sin ne und zum Wohle aller gerne tragen, so er erneut gewählt und in der Folge auf den Stuhl des Regierungschefs berufen würde. Par teiobmann Philipp Achammer jubilierte ob der Entscheidung. Ein Stein fiel ihm vom Herzen. Er drückte Kompatscher - Kompatscher drückte dagegen. Druck und Gegendruck! Er kommt allemal auf, wann sie zwei sich gegenseitig zur Brust nehmen. Sie, die beiden, werden’s immer wieder tun. // wp

11 AKTUELLES PZ 24 | 8. DEZEMBER 2022
AUF BEUTEZUG
2a.) 2b.)

Während die Arbeiten an der Umfahrungsstra ße von Kiens bereits vor einem Jahr vergeben wurden und woran seither bei den Zugängen im Westen und Osten (Bild 4b) gearbeitet wird, ist man in Percha seit ein paar Wochen dabei, die Baustelle einzurichten (Bild 4a). Die Fertigstel lung beider Umfahrungsprojekte, sowohl jenes für Kiens als auch jenes für Percha, ist für Ende 2025 geplant. Jedenfalls sollen die neuen Stra ßenabschnitte von jeweils 2,9 km (Kiens) und 3,3 km (Percha), davon insgesamt rund drei Ki lometer im Tunnel verlaufen, bis spätestens Fe ber 2026, also zum Beginn der olympischen Win terspiele „Milano – Cortina“, einschließlich der jeweils beim Holzhof (Zufahrt Rasen-Antholz) und beim Dolomiten-Hof (Zufahrt Olang) neu zu schaffenden Kreisverkehre, fertiggestellt und hindernisfrei befahrbar sein. Gemessen am Zeit aufwand von 1.000 Tagen, der der Tunnelbau unterm Pflaurenzer Köpfl (St. Lorenzen) erforderte, stehen die beauftragten

insbesondere die Tunnelbauer in Percha.

Tunnel nämlich doppelt so lang wie jener von Pflaurenz. Bekanntlich werden die BiathlonWettbewerbe auf der Anlage in An tholz/Obertal ausgetragen, in welche deswegen saftig investiert wird. Mehr als 30 Millionen sollen in die Ver besserung der Sportstätte (Schieß anlage, Waffenlager, Servicebereich unterirdisch, Loipenbeschneiung, Wasserspeicher usw.) hineingebut tert werden, wovon laut einer Aussa ge von Alex Tabarelli, Präsident des CONI-Provinzialkomitees, 25 Millio nen vom CONI kämen. Das Biathlon komitee bzw. die Provinzverwaltung hätten für den Rest geradezustehen. Ob hier wegen der enormen Teue rung von Rostoffen und Gerätschaf ten erhebliche Nachbesserungen fi nanzieller Natur zu erwarten sind, ist zurzeit unklar. // wp

WEIHNACHTS-STERN-BENEFIZAKTION IN DER OBERSTADT

Heuer findet für die Südtiroler Krebshilfe zu Gunsten des „Hilfsfonds für Kinder von krebskranken Eltern“ in Bruneck eine Benefizaktion statt. Die Aktion läuft noch bis zum 31. Dezember 2022. Den Christbaum bei der Mariensäule in der Oberstadt von Bruneck zieren heuer 50 Weidensterne, angefertigt von Walter und Theresia Mair. Die Leidenschaft zum Weidenflechten hat sie auf die Idee ge bracht, ihr Hobby für einen wohltätigen Zweck zu verwenden. Beim Handwerkermarkt im Palais Sternbach können weitere Sterne gegen eine Spende erworben werden. Der Erlös dieser Weihnachts-Bene fiz Aktion geht zu Gunsten des Hilfsfonds.

Besonders erfreut sind die Initiatoren, dass heuer auch die Miss Südtirol 2023, Isabel Dailer, die Aktion unterstützt (siehe Foto). Die Aktion selbst läuft noch bis zum 31. Dezember 2022 zu folgenden Öffnungszeiten: Jeweils Freitag von 14:00 bis 18:00, Samstag und Sonntag von 10:00 bis 18:00 und am morgigen Donnerstag, den 8. Dezember von 10.00 bis 18.00 Uhr. // rewe

12
PZ 24 | 8. DEZEMBER 2022
AKTUELLES
Firmen unter
UNTER ZEITDRUCK 4a.) 4b.)
großem Zeitdruck Druck, Dort ist der

Aller guten Dinge sind zwei

So sah man es jedenfalls am vergangenen Samstag in Prettau. In zwei getrennten Baulosen entstand dort nämlich in sechs langen Jahren ein neues Rat- und Kulturhaus, das seinesgleichen sucht – ein Ding, das nicht nur gut, sondern geradezu perfekt ist. Und das – man höre und staune! – keine Schulden hin terlässt. Das wollte und musste gefeiert werden.

Als im Herbst vor drei Jahren als Er gebnis des ersten Bauloses in Pret tau ein neues Rathaus bezogen wer den konnte, sprach der Architekt Helmut Stifter – in Anspielung auf die eigenartig spitze Form des Gebäudetraktes – noch von einem „Tortenstück“. Mit dem seither ange bauten Kultur- und Vereinshaus ist die Torte nunmehr komplett – ein Leckerbissen, ein Meisterstück planerischen und bautechni schen Könnens und eine Freude für alle, die dort arbeiten und sich treffen dürfen.

Der neue Gebäudekomplex sollte kein Protz bau werden: In der Wirkung eher klein und zurückhaltend ist er aber doch von einer Größe und Ästhetik, von einem Selbst bewusstsein und einer Dominanz wie sie einem Rat- und Kulturhaus zustehen, ist au genscheinlicher Mittelpunkt des Ensembles öffentlicher Einrichtungen im Dorfkern –umgeben von Dorfplatz, Grundschule, Kin dergarten, Bibliothek, Feuerwehrhalle und Dorfladen mit angeschlossener Bar.

EIN HAUFEN VON PROBLEMEN

Dabei war das, was nunmehr so wunderbar genial als neues Rat- und Kulturhaus Prettau dasteht, am Anfang ein Problem, ein Hau fen von Problemen gar. Es spießte sich näm lich von Anfang an – gewaltig und unab

lässig. Schon die Standortsuche drohte zu einer unendlichen Geschichte zu werden. Als Bürgermeister Robert Alexander Steger vor zwölf Jahren ganz neu im Amt war, woll te er das baufällige „Schmolzhaus“ am Fuße der Pfarrkirche abreißen und dort ein neu es Rathaus bauen. Dafür hatte die Gemeinde die Ruine zuvor angekauft. Doch Querschüs se im Gemeinderat machten dieses Vorha ben zunichte. Also blieb nur das, was der Bürgermeister eigentlich verhindern woll te: Das bestehende Gemeindehaus abreißen und dort neu bauen. Das größte Problem da bei: Wohin mit den Gemeindeämtern, wohin mit dem Kultur- und Theatersaal in den Jah ren, in denen gebaut werden würde? Es folgten jahrelange Diskussionen, Gutach ten, Machbarkeitsstudien… Und schließlich fanden Gemeinderat und Planer doch noch so etwas wie den Stein der Weisen. Was die sen ausmache, erklärten Bürgermeister Ro bert Alexander Steger und Architekt Helmut Stifter den Festgästen am Samstag. Der neue Baukörper wurde in zwei Baulosen verwirk licht. Zuerst entstand auf dem Parkplatz vor dem alten Rathaus ein Zubau mit den neu en Gemeindeämtern. Die „alten“ blieben derweil – ebenso wie der Theatersaal – in Funktion, mussten also nicht ausgesiedelt werden.

GUTE TECHNISCHE GESAMTLÖSUNG

Zudem wurde so geplant und gebaut, dass der Aufzug und das Stiegenhaus nicht nur das Rathaus, sondern auch das angrenzen de Feuerwehrgebäude erschließen. Nach 14-monatiger Bauzeit und Kosten von rund 1,7 Millionen Euro war der neue Rathaus trakt im Herbst 2019 bezugsfertig. Im März 2021 begann dann der Abbruch des Be standgebäudes als Voraussetzung für die Verwirklichung des zweiten Bauloses mit dem zentralen zweigeschossigen Kulturund Theatersaal. Um diesen – gleichsam wie eine Schale herumgewickelt – liegen Vereinslokale, Jugendraum, Schießstand, Gemeinschaftsküche, Technikräume sowie der Eingangs- und Foyerbereich mit gro ßen Fensterfronten. Gebaut und gearbeitet wurde auf engstem Raum, lag doch der Bau platz eingezwängt zwischen Straße, angren zendem Feuerwehrgebäude und Dorfplatz. Probleme bereitete auch die heikle Grund wassersituation, bedingt durch den nahe gelegenen Grundbach. Und dann war da noch Corona mit den vielen Arbeitsunter brechungen, Lieferengpässen und den zu letzt explodierenden Preisen. Dass trotz all dieser Probleme der Zeitplan, vor allem aber der Kostenrahmen von 3,3 Millionen Euro allein für das zweite Baulos eingehalten

13 PZ 24 | 8. DEZEMBER 2022
NEUES KULTUR- UND VEREINSHAUS VON PRETTAU FEIERLICH SEINER BESTIMMUNG ÜBERGEBEN
Oliver Jaist >>

werden konnte, ist weit mehr als das sprich wörtliche Sahnehäubchen auf der allseits gelobten Torte.

Allseits gelobt wurde anlässlich der Feier am Samstag dann in der Tat: die großzügi gen Räumlichkeiten mit allen technischen, akustischen und energetischen Raffines sen, die edle Qualität der Materialien und die Funktionalität der Einrichtung, das Kön nen der Planer und Arbeiter, die Tüchtig keit des Bürgermeisters und die Geduld der Gemeindebediensteten. Gelobt von zahl reichen Prettauerinnen und Prettauern in Feierlaune und einer schier endlos langen Riege an Politprominenz, darunter Landes hauptmannstellvertreterin

14 ERÖFFNUNG PZ 24 | 8. DEZEMBER 2022 St. Jakob, Wollbachgisse 89 I-39030 Ahrntal info@weger-josef.it www.weger-josef.it DIEIDEALELÖSUNGFÜR , MECHANISCHEHYGIENISCHEUNDDEKORATIVEBEREICHE VERTRAGSHÄNDLER www.ipmitalia.it SpezielleBodenbelägefür denkmalgeschützteundbiologischeBauten! DEKORATIVE BÖDEN UND WÄNDE BESCHICHTUNGEN INNEN/AUSSEN KUNSTHARZBESCHICHTUNGEN BODENSANIERUNGEN INDUSTRIEBÖDEN DESINFIZIERBAR und PFLEGELEICHT FUGENLOS und PORENGESCHLOSSEN MAIR d. Mair Gert & Co KGSAS / www.mairgert.com Tel. +39 0474 74 51 46 I-39039 Niederdorf () BZ seit/da 1963 SCHWARZENSTEINHÜTTE SCHWARZENSTEINHÜTTE
Waltraud Deeg, die Landesräte Maria Hochgruber und Mas simo Bessone, die Landtagsabgeordneten Franz Locher, Helmut Renzler und Manfred Vallazza, Altsenator Hans Berger, Ressort direktor Armin Gatterer, die Bürgermeister Helmut Klammer (Ahrntal), Roland Tink hauser (Pfalzen), Angel Miribung (Wengen) Banddurchschneidung: Die neue Bühne vermochte trotz ihrer beachtlichen Ausmaße die Zahl der Ehrengäste kaum zu fassen. Stefan Steinhauser Abschluss einer sechsjährigen Baugeschichte: Bürgermeister Robert Alexander Steger bemühte sich erst gar nicht, seinen Stolz über das neue Rat- und Kulturhaus zu verbergen – „und das alles, ohne für die Gemeinde auch nur einen Euro Schulden zu machen!“ ta Landeshauptmannstellvertreterin Waltraud Deeg: Überbrachte die Glückwünsche aus Bozen ta Bürgermeister Robert Alexander Steger: Freude über ein gelungenes Werk ta Seelsorger Josef Profanter: Segen aus dem „Kul turzentrum über uns“ ta

und Gottfried Islitzer (Prägraten/Osttirol). Und dann war da noch der Pfarrer: In sei ner berührend bescheidenen, einfühlsamen und glaubwürdigen Art erinnerte Josef Pro fanter an „das noch schönere Kulturzentrum über uns“, das wir Himmel nennen und von dem aus uns Segen zugesagt ist, auf dass all unser Tun und Streben wiederum zum Se gen und Heil werde – „uns und durch uns allen Menschen, die in den Rat- und Kultur häusern hier unten planen, arbeiten und wirken“. Musikalisch umrahmt wurde die Segens- und Feierstunde von der Knappen kapelle Prettau, theatralisch erheitert durch die Volksbühne und kulinarisch abgeschlos sen durch die Bäuerinnen des Dorfes.

Anstatt unzähliger Kirchtürmchen haben die Prettauer Vereine nun eine gemeinsame Kathedrale

Was die Gäste nach der feierlichen Eröffnung des neuen Kultursaales zu sagen hatten:

Trotz der Umsetzung in zwei Baulosen war es uns wichtig, dass sich das Projekt als einheit licher Entwurf und als ein zusammenhängen der Baukörper präsentiert. Der Neubau zeigt sich selbstbewusst und eindeutig als öffent liches Gebäude, das sich mit dem verglastem Eingangsbereich und dem Foyer an drei Seiten großzügig zum Dorf und dem vorgelagerten Dorfplatz öffnet. Die spezielle Gebäudegeometrie mit den geknick ten Fassaden und Traufkanten vermeidet lange Gebäudefluchten und lässt das Gebäudevolumen viel kleiner erscheinen. Teilweise lösen Glasflächen die Fassaden fast auf und in Richtung Dorfplatz nimmt die Höhe des Baukörpers stark ab, um sich dort dem menschlichen Maßstab anzunähern und eine gute Belichtung bzw. Besonnung des Platzes zu ermöglichen.

Evi Grießmair, für die Jugend zuständige Gemeindereferentin

Ich bin richtig stolz auf das, was uns hier ge lungen ist – und noch gelingen wird. Ab Jän ner werden wir die Einrichtung des Jugend raumes angehen. Das Amt für Jugendarbeit hat uns dazu die Finanzmittel schon fest zu gesagt. Und danach geht’s los: Einmal wö chentlich – vermutlich mittwochs Nachmittag

zwischen drei und sieben Uhr – wird der Jugendraum offenstehen – begleitet und betreut durch einen professionellen Jugendarbeiter. Die betreffende Vereinbarung mit der Jugendgruppe Aggregat vom Ju gend- und Kulturzentrum Alte Volksschule in Steinhaus steht schon. Ich bin so dankbar, dass auch unsere Jugendlichen in dem schönen Haus einen Platz finden.

Igor Voppichler, Obmann der Volksbüh ne Prettau

Die Bühne ist grandios: doppelt so groß wie die bisherige! Ich freu mich schon richtig drauf. Im nächsten Herbst sind wir jeden falls wieder pronto. Und beim Bühnenbild haben wir dann alle Möglichkeiten. Auch die Beleuchtung und die Akustik ist spitze. Es ist schon ein Schlaraffenland, das uns die Gemeinde da hergestellt hat. Als ich heute bei der Eröffnungsfeier als Bajazzo das erste Mal auf der Bühne stehen durfte, mischte sich unter all die Spielfreude aber auch der Schmerz über den Tod lie ber Theaterfreunde, die sich über unser neues Heim wohl so rich tig mitgefreut hätten: Ich nenne Reinhold Bacher, den Gründer und langjährigen Obmann der Volksbühne Prettau, Alfons Bacher, den Musik- und Krachmacher, den Strippen- und Vorhangzieher hinter den Kulissen, die treueste Seele, die man sich nur wünschen konnte, und Agnes Tasser, ehemalige Obfrau und begeisterte Theaterspiele rin, eine, die keine Feier und keinen Ausflug ausgelassen hätte.

15 ERÖFFNUNG PZ 24 | 8. DEZEMBER 2022
FD 002_A438_13150_002_Gruber_1.3 KS 19.12.2016 1/3 Seite_186 x 82 mm_4C aus Kundendaten Herstellung und Montage der Aussen und Innentüren
Trennwandelemente Telefon +39 0474 555 687 www.gruber-tueren.com
sowie
Zur Eröffnung eine erste Theatereinlage: Mit einem zeitkritischen Stück ganz im Stile des traditionel len Prettauer Stubentheaters sorgte die Volksbühne für Erheiterung aber auch Nachdenken. ta Helmut Stifter, Planer
>>

ERÖFFNUNG

Wolfgang Kofler, Hauptmann der Schüt zenkompanie Prettau

Wir sind froh, dass wir einen schönen Schieß stand bekommen haben und auch einen neu en Aufenthalts- und Versammlungsraum. Dankbar sind wir aber auch für die Abstell räume, in denen wir jetzt unsere Sachen la gern können. Das ist einfach praktisch!

Hans Berger, ehem. Landeshauptmannstellvertreter Ich bin sehr beeindruckt, wie harmonisch sich das Gebäude in das

Dorfzentrum einfügt. Und ich bin positiv an getan, dass es gelungen ist, in dieser Zeit der kontinuierlichen Preissteigerungen den Fi nanzrahmen nicht zu sprengen. Das Haus ist in meinen Augen ein Meisterwerk, ein Zentrum für Prettau und seine Vereine. Ich finde, es ist sehr wichtig, dass die Vereine im Dorf ein ge meinsames Zuhause haben, in dem sie zusam menfinden können. Wenn das fehlt, besteht die Gefahr, dass jeder Verein an seinem eigenen Kirchturm baut. So aber haben sie jetzt eine gemeinsame Kathedrale. //

DAS NEUE RAT- UND KULTURHAUS PRETTAU IN ZAHLEN

Kubatur Baulos 1 (Rathaus): 2.100,00m³

Kubatur Baulos 2 (Kulturhaus): 4.800,00m³

Gesamtkosten: ca. 5.000.000 Euro (für Pla nung und Bauausführung inkl. Einrich tung, technische Spesen, Außengestaltung, Infrastrukturen, Photovoltaik und Steuern)

Raumprogramm Rathaus (eröffnet 2019)

Räumlichkeiten für Gemeindeämter und Mitarbeiter

Nebenräume wie Lager, Sanitär und Technik Neues Gemeindearchiv

Raumprogramm

(eröffnet 2022)

Kulturhaus

Mehrzwecksaal mit Bühne und Foyer Nebenräume wie Küche, Lager, Sanitär und Technik

Vereinsraum für Theaterverein Vereinsraum für Schützen und Schießstand Räumlichkeiten für die Jugend

Verwaltungs- und Kulturarbeit im Schaufenster. Die Eingangs- und Foyerbereiche im neuen Gebäudekomplex sind den Arbeits- und Versammlungsräumen wie transparente Schaufens ter vorgelagert und machen die Aktivitäten im Gebäude jederzeit zur Dorfseite hin sichtbar.

Planung und Ausführung Generalplanung, Bauleitung: stifter+bachmann Fachplanungen (Statik, Brandschutz, Haustechnik, Elektro): Bergmeister GmbH Geologie: ingena Baumeister- und Zusatzarbeiten: Unionbau GmbH Abbruch- und Aushubarbeiten: Transporte-ErdbewegungenRecycling Josef Weger Heizung-, Lüftung- und Sanitärtechnik: Peintner GmbH und

Weger Walter GmbH Elektroanlage: Leitner Electro GmbH Bühnentechnik: Obrist GmbH Einrichtung: Möbel-Tischlerei Schraffl OHG Küchentechnik: Gastrotec Niederbacher GmbH Malerarbeiten: Gasteiger eGmbH Bodenbelege: Mair KG des Mair Gerd & Co Außenverputz und Unterböden: Winkler Karl GmbH Türen: Tischlerei Gruber OHG

Gisse 109

Wir bedanken uns für die gute Zusammenarbeit und wünschen weiterhin viel Erfolg.

I-39030 St. Johann i Ahrntal +39 348 141 9537 info@gasteigergmbh.it

Gisse 109

I-39030 St. Johann i Ahrntal +39 348 141 9537 info@gasteigergmbh.it

Winkler Karl Tel. +39 393 9039705

Winkler Markus Tel. +39 392 3426362

Büro - Tel. : +39 345 7938853 E-Mail: info@winkler-verputz.it www.winkler-verputz.it

Wir bedanken uns recht herzlich bei der Gemeinde Prettau für das entgegenge brachte Vertrauen und wünschen allen Vereinen viel Freude mit den Räumlichkeiten in ihrem neuen Kultursaal!

16
PZ 24 | 8. DEZEMBER 2022
Vollwärmeschutz Innen- und Außenputze Isolierputz Unterböden mit Fließestrich Unterböden traditionell Industrieböden Rampen in Fischgrat Karl +39 393 90 39 705 Markus +39 392 34 26 362 info@winkler-verputz.it
//
Oliver Jaist

Die Kronplatz Holding informiert

Die Kronplatz Touristik ist eine Tochtergesellschaft der Kronplatz Holding, wurde 2018 im Rahmen der Umstrukturierung der gesamten Kronplatz Gruppe gegründet und hat als Ziel und Aufgabe die Entwicklung und Führung qualitativ hochwertiger Beherbergungsbetriebe in der Ferienregion Kronplatz.

So hat die Kronplatz Touristik 2018 das Hotel Post in Bruneck erworben, teilweise umgebaut und mit dem Restaurant COSMO erweitert.

Neu im Portfolio ist mit Dezember 2022 auch die Führung des Hotel Andreas Hofer in Bruneck im Rahmen eines Pachtvertrags. Diese Entscheidung bringt für die Kronplatz Touristik mehrere Vorteile mit sich: Synergien in Vertrieb und Marketing, Optimierung in der Führung beider Hotels durch Direktor Gerhard Stecher und zwei unterschiedliche Produkte, sie sich auf dem Markt gegenseitig bestens ergänzen.

Zudem arbeitet die Gesellschaft kontinuierlich an weiteren Projekten, wie etwa an der Entwicklung und Umsetzung des Camping Village Korer.

Das derzeit wohl wichtigste Projekt der Kronplatz Touristik ist das Hotel Schloss Sonnenburg in St. Lorenzen, welches im Sommer 2022 definitiv erworben wurde. Dazu nachstehend ein Gespräch mit dem Präsidenten des Verwaltungsrates der Kronplatz Touristik GmbH und auch der neugegründeten Gesellschaft HSS GmbH (Hotel Schloss Sonnenburg) Bernhard Schönhuber und Ivo Pezzei, Geschäftsführer der beiden Gesellschaften.

Herr Schönhuber, was hat die Kronplatz Touristik dazu bewogen, das Hotel Schloss Sonnenburg zu erwerben?

Hier muss ich eine kurze Rückblende machen und erklären, warum die ehemalige Kronplatz Seilbahn AG ihre Gesellschaftsstruktur geändert hat und sich inzwischen als Kronplatz Holding AG in verschiedenen Geschäftsbereichen engagiert. Die Kronplatz Seilbahn ist in den letzten 20 Jahren stetig gesund gewachsen. Die Liftanlagen wurden auf den letzten Stand gebracht. Es war klar, dass die erzielten Gewinne teilweise in anderen Geschäftsbereichen rentabel investiert werden. Das war eine strategische Ausrichtung und Entscheidung des Verwaltungsrates.

Die Entwicklung der gesamten Ferienregion Kronplatz und des Qualitätstourismus im Allgemeinen liegen uns sehr am Herzen. Als sich die Möglichkeit geboten hat, das Hotel Schloss Sonnenburg zu kaufen, war das für die Kronplatz Gruppe eine einzigartige Chance, die wir nutzen wollten, um ein einzigartiges Produkt zu entwickeln und auf den Markt zu bringen. Mit unseren Mitgesellschaftern, der Gasser Touristik haben wir einen kompetenten Partner im Bereich der Hotellerie an unserer Seite. Mit der Familie Knötig, die 50 Jahre lang das Hotel geführt hat, haben wir Menschen dabei, die diese einzigartige Immobilie in- und auswendig kennen. Eine gute Ausgangslage, um das Projekt erfolgreich in die Zukunft zu bringen.

Herr Pezzei, Sie sind als Geschäftsführer der Kronplatz Touristik und der HSS GmbH maßgeblich an der Entwicklung und Umsetzung des Projektes beteiligt. Was genau wird aus dem Hotel Schloss Sonnenburg und wer wird es zukünftig führen?

Das Hotel Schloss Sonnenburg wird zu einem 5-Sterne-Luxus-Hotel umgebaut. Die geschichtsträchtigen Mauern und die einmalige Lage sind wie dafür gescha en. Die derzeit 40 Zimmer werden zu 28 neu designten Suiten umgebaut, ausgelegt auf „Internationalität und Regionalität“. Zudem planen wir ein ö entlich zugängliches Restaurant, um die Tore des Schlosses nicht nur den Hotelgästen zu ö nen, sondern auch den Einheimischen, um dadurch die Akzeptanz in der Bevölkerung und die Authentizität des Hotels zu stärken.

Wir sehen uns als Eigentümer, Projektentwickler und strategischer Partner des künftigen Betreibers. Wir haben mit der international agierenden, familiengeführten Hotelgruppe San Domenico Hotels mit Sitz in Rom und London einen idealen Partner gefunden.

Wir sind überzeugt, dass ihre Präsenz einen absoluten Mehrwert für die gesamte Ferienregion Kronplatz scha en wird. Die Gruppe betreibt derzeit u.a. ein Hotel in Cortina d’Ampezzo, in London und seit Kurzem auch in Miami (USA). Ihr Stammhaus ist das unter Südtirolern bekannte „Borgo Egnazia“ in Apulien.

San Domenico Hotels ist zwar keiner der bekannten, weltweit agierenden „Mega-Brands“, aber wir wollten bewusst keinen dieser Marken, weil die Sonnenburg eine ganz spezielle Immobilie ist, die sehr individuell geführt werden muss.

In den nächsten 1,5-2 Jahren sind noch mehrere bauliche Maßnahmen notwendig, für welche derzeit die Planungen in enger Absprache mit dem Landesdenkmalamt und der Gemeinde St. Lorenzen stattfinden. Die Erö nung unter dem Namen „Hotel Schloss Sonnenburg-Castel Badia_Nowhere Else“ ist für 2024 geplant.

www.kronplatz.group
Ivo Pezzei, Geschäftsführer Kronplatz Touristik GmbH und HSS GmbH
Anzeige
Bernhard Schönhuber, VR-Präsident Kronplatz Touristik GmbH und HSS GmbH

NATÜRLICHE

Gesundheit ist, im richtigen Moment genug gutes Wasser zu trinken

Immer dann, wenn wir eine hartnäckige, therapieresistente Le benssituation mit allen möglichen Wehwehchen haben, die wir trotz grosser Anstrengungen und Bemühungen nicht in den Griff bekommen, wenn Schmerzen sehr stark wandern und ihren Cha rakter ändern, wenn wir eine chronische Müdigkeit entwickeln, wenn unser Darm träge ist, wir unerklärliche Unverträglichkeiten und komische Hautausschläge haben, sollten wir daran denken, dass wir eventuell zu wenig getrunken haben. Wir welken so wie Pflanzen bei schlechter Pflege, langsam aber sicher vor uns hin und das ist ein grosser Stress für unseren Stoffwechsel. Meist ge wöhnen wir uns an diesen Zustand und wir schütten entsprechend leistungsfördernde Hormone aus (Vasopressin, vasodiuretisches Hormon, Adrenalin, Cortisol, Histamin!). Vorübergehend ist die ser Zustand leider sogar leistungsfördernd und angenehm, ja ge radezu euphorisierend. Wir merken dies, wenn wir in diesem Zu stand zum Beispiel etwas viel Kaffee trinken. Schnell höre ich in diesem Moment meist: Ich kann nicht so viel trinken, das ist unmöglich, ich bekomme starken Harndrang und muss viel zu oft, vor allem nachts auf die Toilette. Sehe es nicht nur als Drang, sondern als Möglichkeit etwas loszuwerden. Was serlassen ist eine große Befreiung.

Ich höre sehr oft die Frage: Wann trinke ich genug? Die Antwort lautet zumeist: Wenn der Urin eine helle, strohgelbe durchschei nende transparente Farbe hat! Ist der Urin dunkel und trüb, so gibt es immer einen Grund dem man nachgehen sollte: Meist hast Du zu wenig getrunken!

Sehr oft höre ich als Bedenken auch dass das viele Trinken am Anfang zusätzliche Beschwerden macht: Wassereinlagerungen, Kopfschmerzen, allgemeine körperliche Schmerzen, Sodbrennen, Ein- und Durchschlafstörungen. Wenn dem so ist, dann ist dies meist nur vorübergehend für einen oder wenige Tage. Wasser ist das wichtigste Lösungsmittel und hilft stark bei der natürlichen Ausscheidung und Entgiftung. Zudem ist es der wichtigste Ener gieträger überhaupt. Wasser wird von jedem vertragen. Wer Heiß hunger hat, weil zum Beispiel die Darmflora nicht in Ordnung ist, bekommt am Anfang mehr Appetit, wer fehlgewichtig ist, kann am Anfang mehr Wasser ins Gewebe einlagern. Dann aber legt sich all dieses und wenn der Körper nicht mehr das Gefühl hat, er kommt in allen Belangen zu kurz, reguliert sich der Wasserhaushalt und damit sehr oft das Körpergewicht von alleine zum Wohlgefühl hin.

Vitalität anstatt Müdigkeit Zuversicht anstatt Angst

Gute Temperaturregulation anstatt Hautrötungen und Hitzewallungen

Selbstsicherheit anstatt Gefühl der Unzulänglichkeit

Entsprechende themenbezogene Zusendungen und Fragen können so wie bisher in bewährter Weise direkt an meine E-Mailadresse gruber@prosalus.info oder telefonisch unter 0474 409344 direkt an mich gerichtet werden.

Innere Ruhe anstatt Reizbarkeit

Genugtuung anstatt Minderwertigkeit, „es ist nie genug“ Muskelkraft anstatt Niedergeschlagenheit

Lebensfreude anstatt Antriebslosigkeit

Positive Gedanken anstatt Deprimiertheit

Sehkraft anstatt verschwommenes Sehen

Freiheitsgefühl anstatt „Dicker“ drückender Kopf

Geschmeidiges/elastisches Körpergewebe anstatt Wassereinlagerungen und Gewebsschwellungen

Beweglichkeit, anstatt GelenksSehnenschmerzen

Zufriedene Sattheit anstatt Sucht und Heißhunger

Kreislaufstabilität anstatt Schwindel, Blutdruckschwankungen Ausgeglichenheit anstatt Sorge

TRINKPRAXIS FÜR DICH:

• Der Körper braucht täglich 2 Liter Wasser, nur um die Verluste über Ausatmung durch die Lunge, durch Schwitzen, durch Urin ausscheidung und Stuhlgang auszugleichen

• Die Faustregel, vor allem für Menschen mit Übergewicht und im Alter lautet: täglich gut 30 ml Wasser pro kg Körpergewicht trin ken! Bei 50 kg KG benötigt man somit 1,5 Liter Wasser am Tag, bei 90 kg KG 2,7 Liter.

• Man sollte immer Wasser trinken, wenn man durstig ist, auch während der Mahlzeiten. Wassertrinken beim Essen beeinflusst den Verdauungsprozess nur unwesentlich. Wassermangel beim Essen vermindert die Verdauungskraft aber dramatisch.

• Bei obigen Problemen sollte ein sogenanntes Trinktraining ge macht werden: es funktioniert wie eine Art Kur und sollte min destens 2 Wochen, wie eine Art Diät durchgeführt werden: o Morgens nach dem Aufstehen sollte man bei obigen Prob lemen als erstes nüchtern mindestens 2 Gläser Wasser zu je 200 ml trinken, um den Wasserverlust auszugleichen, der während des Schlafes entsteht.

o Weiters sollten vor jeder weiteren Mahlzeit idealerweise eine halbe Stunde vorher weitere 2 Gläser Wasser zu je 200 ml getrunken werden. Dadurch wirkt das Wasser energieanrei chernd auf die Nahrung.

o Organisiere zu Beginn des Trinktrainings jeweils eine Trink mahlzeit um ca. 10.00 Uhr und um 15.00 Uhr mit jeweils wei teren 2 Glas Wasser zu 200 ml, vor allem um den Vardauungs prozess der letzten Mahlzeit gut abzuschließen.

o Nur wenn man das Trinktraining ernst nimmt und auch rich tig durchführt, wird man einen deutlich merkbaren, motivie renden und überzeugenden Effekt erzeugen, der dazu führt, dass man diese wichtigste gesunderhaltende Maßnahme, die ich kenne auch beibehält.

18 SOZIALES & GESUNDHEIT PZ 24 | 8. DEZEMBER 2022
GESUNDHEIT DURCH EIGENES TUN
Dr. Rudolf Gruber ANZEICHEN FÜR GUTES TRINKVERHALTEN:

Was eine Erkältung so alles anrichten kann

Die häufigsten Ursachen für Zahn schmerzen sind zwar Karies, Parodon titis und Muskelverspannungen durch Zähne-Knirschen – Aber: in manchen Fällen kommt der Zahnschmerz aus der Nase oder dem Hals – gerade jetzt in der Nass-Kalten-Zeit

Eine Erkältung ist unangenehm. Hals schmerzen, Kopfschmerzen, das Atmen fällt schwer, die Nase läuft oder ist ver stopft – und dann noch Zahnschmerz. Die gute Nachricht: Keine Sorge, mit ziemlicher Sicherheit hat sich nicht plötz lich über Nacht eine schlimme Karies entwickelt. Gleich über der oberen Zahn reihe liegen rechts und links neben der Nase die Kieferhöhlen, die zu den Na sennebenhöhlen zählen. Sie sind luft gefüllte, mit Schleimhaut ausgekleidete Hohlräume im Schädelknochen. Kleine Gänge verbinden die Kieferhöhlen mit der Nase. Die Schleimhaut der Kiefer höhlen und der Nase ist mit feinen Flim merhärchen besetzt, deren Aufgabe es ist, ständig Sekret abzutransportieren

und die Atemwege zu reinigen. Die Wur zeln der Zähne im Oberkiefer grenzen an die Kieferhöhlen. Wird aus einer einfa chen Erkältung eine Nebenhöhlenent zündung, können zu den klassischen Symptomen auch Zahn schmerzen hinzu.

Wichtig zuerst: Eine professionelle Dia gnose. Modern ausgestattete Zahn ärzte verfügen über extrem genaue 3D Röntgentechnologie – hier lassen sich auch die Übergänge der Zähne zur Nase darstellen. Der geschulte Diag nostiker erkennt dann sofort: Das Übel ist nicht der Zahn, sondern die Nase. Da diese Zahnschmerzen ein begleiten des Symptom der Erkältung sind, muss zunächst die Entzündung abheilen und der Druck im Inneren des Kopfes nach lassen. Das Immunsystem ist für ge wöhnlich in der Lage, eine Erkältung selbst erfolgreich zu bekämpfen. Das

dauert allerdings einige Tage. Ist die Kie ferhöhlenentzündung überstanden und die Zahnschmerzen halten dennoch an, wird es Zeit für einen Besuch beim Zahn arzt. Weisen Sie Ihren Zahnarzt auf die überstandene Erkältung hin. Es besteht die Möglichkeit, dass die Infektion ein noch unbekanntes Problem mit den Zäh nen zum Vorschein gebracht hat. In der Praxis können die möglichen Ursachen für die Schmerzen zahnärztlich abgeklärt und eine entsprechende Behandlung eingeleitet werden.

Kieferorthopädie

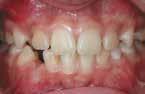
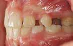
Dieser Patient hatte folgende Diagnose:

• Platzmangel im Ober- und Unterkiefer

• Protrusion der Ober und Unterkieferschneidezähne

• Retinierte Eckzähne (da zu wenig Platz um durchzubre chen)

Aufgrund des starken Platzman gels sah der Behandlungsplan die Extraktion von 4 Prämolaren vor. Behandelt wurde mit einer festsitzenden Apparatur. Die Be handlungsdauer betrug insge samt 20 Monate. Es konnten alle Fehlstellungen behoben und ein stabiles Ergebnis erzielt werden.

Dr. med. dent. Jule Hirte Bachla 6

I - 39030 Pfalzen (BZ)

Tel.: 0474 862334 whatsapp: +39 327 341 00 99

Mit freundlichen Grüßen Dr. Josef Willeit und Dr. Paul Willeit

Dr. Josef Willeit

Facharzt für Zahn-, Mund- & Kieferheilkunde Facharzt für Kieferorthopädie

Dr. Paul Willeit

Zahnarzt, Facharzt für Kieferorthopädie

Adresse: Romstraße 3, Bruneck • Tel. 0474 555 409 info@willeit.it • www.willeit.it

19 SOZIALES & GESUNDHEIT PZ 24 | 8. DEZEMBER 2022
Anzeige ZAHNSCHMERZEN DURCH DIE NASE:
Abb. 1: Vor der Behandlung, frontal Abb. 2: Nach der Behandlung, frontal MODERNE ZAHNMEDIZIN Abb. 5: Vor der Behandlung, rechts Abb. 6: Nach der Behandlung, rechts Abb. 3: Vor der Behandlung, links Abb. 4: Nach der Behandlung, links
Anzeige

HILFE FÜR DEN KAIMBLHOF

Zu einer raschen und unkomplizier ten Hilfe für die Betroffenen des „Kaimblhofes“ rufen alle bäuerlichen Orga nisationen der Gemeinde Mühlwald in Zusammenarbeit mit dem „Bäuerlichen Notstandsfonds – Menschen helfen“ auf.

SPENDEN

In der Nacht auf Montag, 21.11.2022 ist der Stadel des „Kaimblhofes“ in Lappach in Vollbrand geraten und bis auf die Grund mauern abgebrannt (siehe Fotos).

Dank des großen Einsatzes der Freiwilligen Feuerwehren konnte ein Übergreifen des

Spenden können über die Spendenkonten des „Bäuerlichen Notstandsfonds EO“ eingezahlt werden

Kennwort: „Kaimblhof – Lappach“

Raiffeisen Landesbank IBAN IT30 D 03493 11600 000300011231

Südtiroler Sparkasse IBAN IT67 D 06045 11600 000000034500

Südtiroler Volksbank IBAN IT15 U 05856 11601 050570004004

Jeder gespendete Euro kommt zu 100 Prozent der Familie Aschbacher vom Kaim blhof zugute. Die Spenden an den BNF können von Privatpersonen und von Betrie ben in der Einkommenssteuererklärung abgesetzt werden. //

MUT UNTERSTÜTZT MOMO

Die MUT-Social-Foundation aus Bruneck zeigt auch heuer wieder Herz: mit einer Spende in der Höhe von 5.000 Euro unter stützt sie den Verein MOMO, welche die Kinderpalliativbetreuung in Südtirol be treut.

Die beiden Pandemiejahre waren für vie le Menschen zehrend und doch haben sie jene Familien besonders getroffen, die oh nehin ein schweres Schicksal zu tragen ha ben: Familien mit schwerkranken Kindern. Bereits seit einigen Jahren unterstützt die von der Unternehmerfamilie Mutschlech ner ins Leben gerufene Onlus-Organisation MUT-Social Foundation den Verein MOMO mit einer großzügigen Spende. MOMO sei nerseits macht sich stark für Kinder, die Be darf an Palliativbetreuungen haben.

Die schwere Krankheit eines Kindes ist ein Schicksal, das nicht leicht zu begreifen ist, und doch sind in Südtirol etwa 200 Familien davon betroffen. Es sind unheilbare, lebens bedrohliche oder lebenslimitierende Erkran kungen, die diese Kinder begleiten, häufig neurologische oder Stoffwechsel-Krankhei ten. Über Jahre haben die Kinder und Ju gendlichen oft Bedarf an intensiver Betreu

Feuers auf das Wohnhaus und danebenlie gende Wohngebäude verhindert werden.

Glücklicherweise wurde niemand verletzt. Aus dem Stall konnten 16 Rinder noch recht zeitig in Sicherheit gebracht werden.

Mehrere landwirtschaftliche Maschinen und das große Futterhaus samt Nebengebäuden wurden aber völlig zerstört. Der Schaden ist groß und nur zum Teil durch eine Versiche rung gedeckt.

Die bäuerlichen Organisationen bitten daher um die Unterstützung von uns allen. „Hel fen wir gemeinsam, damit der Wiederaufbau möglich wird“, so im Spendenaufruf. // rewe

DANKSAGUNG

Die Familie Aschbacher dankt auf diesem Wege allen Feuerwehren, den Einsatzkräften, den Nachbarn und allen Mithelfenden für die gro ße Hilfe. Ein Vergelt‘s Gott allen! //

ung, die besonders von den Eltern sehr viel abverlangt. Um hier schnell und unbürokra tisch zu unterstützen, finanziert MOMO mit Spendengeldern dann eigene Physiothera pie, Kunst- und Musiktherapie. Für dieses soziale Engagement erhielt MO MO vor kurzem einen Spendenscheck in Hö he von 5.000 Euro durch Peter Rech, dem Präsidenten der MUT-Stiftung. // rewe

20 SOZIALES & GESUNDHEIT PZ 24 | 8. DEZEMBER 2022
LAPPACH SOCIAL FOUNDATION BRUNECK Von links: Christian Amhof (Vize-Präsident MUT), Peter Rech (Präsident MUT), Heidi Senoner (Vorsit zende MOMO) und Rudi Sampt (Ausschuss-Mitglied MOMO).

Es dauert nicht mehr lange und der Jah reswechsel steht an. Während die meis ten Zweibeiner Silvester eher feucht fröhlich mit zischenden Raketen und leuchtenden Fontänen feiern, bedeu tet Silvester für unsere Vierbeiner eher Stress und stellt eine Belastung dar. Kein Wunder, unsere Hunde hören besser und haben wesentlich sensiblere Ohren wie wir.

Wer Silvester also entspannt mit seiner Fell nase verbringen möchte kann entweder in eine ruhige Gegend gehen, wo Raketen ver boten sind (was gar nicht so einfach ist) oder seinen Vierbeiner etwas vorbereiten auf die laute Knallerei. Die große Gassi-Runde sollte man am Silvestertag auf jeden Fall noch im Hellen machen, damit der Vierbeiner ausge tobt und auch müde ist. Gassi-Runden wäh rend der Knallerei sollte man vermeiden. Fenster und Türen zu Hause schließen, da mit die Geräusche etwas gedämpft werden. Mancher Hund oder Katze fühlt sich vor al

lem in seinem eigenen Korb am wohlsten. Also, wenn sich der Vierbeiner verkriecht, dann sollte man ihn auch lassen.

RICHTIG REAGIEREN

Wenn Hund oder Katze auf die Knallerei reagieren, sollte man sie nicht trösten. Da durch wird das Tier in seiner Angst eher noch bestärkt. Am besten in Ruhe lassen. Sollte Hund oder Katze die Nähe suchen, dann ist dies natürlich was anderes. Wie erkennt man eigentlich, ob das Tier Angst hat? Klassische Anzeichen sind:

• angelegte Ohren, geweitete Pupillen und geklemmte Rute

• hecheln und nervöses herumlaufen im der Wohnung

• zittern

• das Tier versucht sich zu verstecken

• bellen

• eher geduckte Körperhaltung

Manchmal kann man die Tiere auch durch Suchspiele zu Hause bzw. allgemein durch

Beschäftigung ablenken. Natürlich gibt es auch Nahrungsergänzungen, die man den Tieren an solchen Tagen geben kann: Hanfprodukte beruhigen das Tier. Besser in der Anwendung bei Tieren ist das Hanf blütenpulver als die CBD-Tropfen. Hanfblü tenpulver ist vom Geschmack her neutral und wird sowohl von Hund als auch Katze gut angenommen.

BERUHIGENDE WIRKUNG

Es gibt auch verschiedene Kräuter, die eine beruhigende Wirkung haben, z. B. Laven del oder Johanniskraut. Auch Kauen kann den Vierbeiner ablenken und entspannen. Natürlich sollte dies ein Kausnack sein, an dem der Hund eine Weile beschäftigt ist, wie z. B. getrocknete Rinderkopfhaut oder Rinderohren. Aber ganz wichtig ist, dass wir unsere Vierbeiner an Silvester nicht al leine lassen und auch Freigänger bei den Katzen sollten diesen Abend lieber im Krei se der Familie zu Hause verbringen. Ich wünsche allen schon jetzt einen ru higen Jahreswechsel.

Michaela Olbert

Ernährungsberaterin für Hunde und Katzen

21 SOZIALES & GESUNDHEIT PZ 24 | 8. DEZEMBER 2022
MEIN HAUSTIER DAS LEIDEN UNSERER HAUSTIERE Zeitraum der Weihnachtsaktion: 15.12.2022 bis 15.01.2023 Weihnachtsaktion Beim Kauf oder Aufladung einer Waschkarte von 50 oder 100 Euro laden wir 25 bzw. 50 Euro gratis zusätzlich auf. Karte erhältlich: am Automat und übers Internet: www.autotreff.it Ihre fürGeschenkidee Weihnachten 50,00 + 25,00 = 75 Euro 100,00 + 50,00 = 150 Euro IHRE WASCHANLAGE IN WELSBERG www.autotreff.it  +39 348 3065435 AutoTreff Hauptstraße - Via Principale 4a www.autotreff.it 39035 Welsberg - Monguelfo  info@autotreff.it IHRE AUTOWASCHANLAGE IN WELSBERG!  Hauptstraße 4a | 39035 Welsberg | Tel. 348 3065435 | info@autotreff.it
SILVESTER MIT HUND UND KATZE

Es geht voran

Der geplante Umbau des Kolpinghaus Bruneck geht nun endlich in die nächste Phase. Seit sieben Jahren zieht sich das Projekt hin, und der ursprüngliche Baubeginn wäre eigentlich früher angedacht gewesen. Nicht zuletzt Covid-19, technische sowie finanzielle Gründe haben dem Vorhaben inklusive Terminplan dann doch einen Strich durch die Rechnung gemacht. Doch jetzt scheint sich etwas zu tun. Es konnte ein überaus wichtiges Etappenziel erreicht werden. Die PZ hat bei den Verantwortlichen nachgefragt. von Judith Steinmair

Zur Erinnerung: Das Kolpinghaus Bru neck soll in neuem Kleid erstrahlen, umgebaut und zweckmäßig aufgerüs tet werden. Zum einen soll in den oberen Etagen ein Studentenheim mit entsprechen den Zimmern entstehen, 25 an der Zahl. Da rüber hinaus wird das Kolpinghaus künftig aber auch als ein Haus des Theaters unter der Führung des Stadttheaters Bruneck fun gieren. Es soll also ein Veranstaltungsort für alle Brunecker Bühnen unter einem Dach entstehen, vom Stadttheater Bruneck über die Amateurbühnen wie die Kolpingbühne, das Kleine Theater Bruneck oder die Mari nerbühne bis hin zu den italienischsprachi gen Bühnen, gerne aber auch für Bühnen

Ein Rendering des neuen Kolpinghauses mit der Ansicht in Südwest. Ein tolles Projekt. Arch. Tasser

von auswärts, wie das Teatro Stabile und das Südtiroler Kulturinstitut. Platz für die ganzen Theateraktivitäten dürfte nach dem Umbau im genügenden Maße zur Verfügung stehen. Im Untergeschoss ist eine kleinere (Probe)Bühne vorgesehen mit ungefähr 70 Sitzplätzen und im Erdgeschoss ein größe rer Saal mit ungefähr 130 bis 200 Plätzen, je nach Einsatz einer mobilen Vorbühne. Ein ehrgeiziges Projekt, bei dem allen Betei ligten auf ihre Kosten kommen dürften. Der Eigentümer des Gebäudes, der Verein „Kol pinghaus Bruneck“, dessen Tätigkeit und Grundgedanke als „Kolping“ seit jeher vor rangig eigentlich auf Studentenunterkünfte

ausgerichtet ist, genauso wie die Theatertrei benden, die nun auf eine adäquate Spiel stätte hoffen, allen voran das Stadttheater Bruneck, das seit jeher als Ganzjahresbe trieb mit Platzproblemen geplagt ist. Und nicht zuletzt die Stadtgemeinde Bruneck, die ihrem Motto „Synergien schaffen“ mit dem Projekt nur zu gerne Rechnung tragen will. Letztere ist dann, gemeinsam mit dem Land, auch für die Finanzierung des Pro jekts zuständig.

Woran lag denn nun die Verzögerung und wie ist der Stand der Dinge?

22 POLITIK & VERWALTUNG PZ 24 | 8. DEZEMBER 2022
KOLPINGHAUS BRUNECK
>>

Einladung

Nach Abschluss der Bauarbeiten in Toblach, freuen wir uns, Sie in der neu gestalteten Filiale in der St.-Johannes-Str. 23, willkommen heißen zu dürfen.

Zur Einweihungsfeier am Freitag, 16. Dezember, von 11.00 bis 15.00 Uhr, laden wir Sie herzlichst ein! Eine gute Gelegenheit, die modern ausgestattete Filiale zu besichtigen, gemeinsam darauf anzustoßen und Ihnen für Ihr Vertrauen zu danken.

Wir freuen uns auf Ihr Kommen!

Parkmöglichkeit bei der Mittelschule

23 POLITIK & VERWALTUNG PZ 24 | 8. DEZEMBER 2022
1. 5.000 Euro-Urlaubsgutschein 2. I-Phone 14 Pro Max 256 GB, schwarz 3. Gutschein für 4 Personen: Degustationsmenü (mittags) im AlpiNN inklusive Skipässe Kronplatz und Eintritte ins LUMEN HDS Adventshopping Ins PZ 1/2S 2022_ORIG.indd 2 08.11.22 16:38

HUBERT FRENES

PZ: Die Vorgespräche rund um den Um bau und die Nutzung des Kolpinghauses laufen bereits seit vielen Jahren … Die Umsetzung ist dann ein wenig in Straucheln geraten, aber Sie sind im mer noch mit voller Motivation beim Projekt?

Hubert Frenes: Selbstverständlich! Aber na türlich war die Motivation zwischendurch manchmal am Boden. Wir dürfen ja nicht vergessen, dass wir als Verein „Kolpinghaus Bruneck“ der Stadtgemeinde Grund und Ge bäude zur Verfügung stellen, um ein Projekt zu verwirklichen, das für Bruneck wichtig ist, sprich Studentenwohnungen und Thea terräumlichkeiten, welches dann in Bezug auf die Umsetzung so in die Länge getrie ben wird. Und es ist auch schön zu hören, dass der Zuspruch von Seiten der Bevölke rung hinsichtlich des Projektes groß ist. Im mer wieder werde ich darauf angesprochen, im Laufe der vergangenen Jahre freilich auch dahingehend, ob und wann es denn nun weitergeht… Insofern ist es jetzt einfach grundlegend, dass schnellstmöglichst der nächste Schritt erfolgt, nämlich die Zusiche rung der Finanzierung.

Will heißen, wo stehen Sie derzeit mit dem Projekt?

Mittlerweile ist die Baugenehmigung da, und wir stehen grundsätzlich in den Start löchern… Wenn, wie bereits gesagt, die Fi nanzierung endlich abgeklärt und vor allem zugesichert ist. Ohne diese ist eine Realisie rung schlichtweg nicht möglich. Von unse rer Seite ist die Ausführungsplanung in Aus arbeitung, spätestens bis zum Frühsommer nächsten Jahres sind wir mit den Planungs arbeiten durch. Aber wir können ja schlecht eine Ausschreibung der Bauarbeiten an die Firmen weiterleiten, ohne den nötigen finan ziellen Rückhalt. Es braucht eine schriftliche Finanzierungssicherheit für die Baukosten, sei es von Seiten der Gemeinde als auch vom Land – und ehrlich gesagt besser heute als morgen! Ansonsten können wir das Ganze als Kolpinghaus logischerweise nicht in An griff nehmen!

Und wie sieht nun also der neue Zeit plan aus?

Geplant wäre der Beginn der Bautätigkeit im Herbst nächsten Jahres, also 2023, mit der entsprechenden Fertigstellung dann in nerhalb von zwei Jahren, damit im Studien jahr 2025/26 die Räumlichkeiten den Stu dent*innen bereits zur Verfügung stehen. Von der Notwenigkeit für die Theatertätig keiten ganz zu schweigen, das Stadttheater Bruneck ist mit der derzeitigen Platzsitua tion ja schon lange nicht mehr zufrieden. Das alles im Hinterkopf sollten die politi sche Verantwortlichen also bitte jetzt Nägel mit Köpfen machen! //

durch. Das freut uns alle wirklich sehr, zumal damit eine lange Durststrecke erfolgreich be endet werden konnte. Unverzüglich nach der Ausstellung der Baukonzession könnte mit den Arbeiten begonnen werden. Noch zu klä ren ist aber die Restfinanzierung des Projek tes, wobei die Eigentürmer mit Landes- und Gemeindeverwaltung mit Bürgermeister Ro land Griessmair in primis dabei sind, eine gu te Lösung zu finden. //

PZ: Die Umsetzung des Projekts „Neues Kolpinghaus“ scheint sich doch sehr verzögert zu haben – Was hat sich denn nun konkret getan?

Reinhard Weger: Es ist Schwung in die An gelegenheit gekommen und es ist gelungen, im Zuge eines lösungsorientierten Kraftaktes die urbanistischen und baurechtlichen Hür den abzutragen, wobei die Zusammenarbeit mit Arch. Friedrich Tasser, Kolping-Verwal ter Hubert Frenes und allen anderen invol vierten Personen, Ämtern auf Landes- und Gemeindeebene sowie mit den Nachbarn überaus gut war. Auch die künftigen Nutzer des Gebäudes wurden von Beginn an ein bezogen. In Kürze werden wir die Baukon zession für dieses wichtige Vorhaben aus stellen. Wichtig war uns jedenfalls, dass im Sinne eines partizipativen Miteinanders al le in den Entscheidungsprozess eingebun den wurden. Die Gebäudehöhe wurde da rüber hinaus etwas unterhalb des heutigen Dachgiebels fixiert, sodass sich das Kolping haus in diesem schönen Stadtteil mit der altehrwürdigen Villenlandschaft auch nach den Bauarbeiten harmonisch einfügen wird.

Sind denn nun alle Steine aus dem Weg geräumt? Dürfen wir auf einen baldigen Baubeginn hoffen? Was den baurechtlichen Teil betrifft, sind wir

PZ: Seit wie vielen Jahren kämpfen Sie nun schon als Stadttheater Bruneck für eine neue Spielstätte?

Klaus Gasperi: Eigentlich seit der Gründung des damaligen „Theaters im Pub“ 1994 im Hotel Bruneck, das wir nur kurz bespielen konnten, weil es den architektonischen Si cherheitsbestimmungen nicht entsprach. Wir mussten uns damals also nach einer neuen Spielstätte umsehen und glaubten sie in der „Alten Turnhalle“ zu finden, die aber vom Sportverein beansprucht wurde. Um den Theaterbetrieb nicht einzustellen, mussten wir ein Zelt anmieten, in dem wir über ein Jahr lang Theater, Konzerte und Ka barett gespielt haben. Schon damals aber wurde vom amtierenden Kultur-Landesrat Bruno Hosp das Kolpinghaus als Sitz des Stadttheaters angedacht – die Zeit war aber dafür noch nicht reif. Also wurde mit Hil fe der Stadtgemeinde unter Bürgermeister Christian Tschurtschenthaler im ehemali gen Sitz der Firma Elpo in der Dantestraße ein neuer, vorläufiger Sitz gefunden.

Mittlerweile sind also so viele Jahre vergangen, dass Sie als Direktor des Stadttheaters mittlerweile in Pension sind. Sind Sie im Sinne Ihrer Nachfol gerinnen und Nachfolger aber immer noch überzeugt, dass Sie ein gutes, funktionierendes Projekt mit auf den Weg gebracht haben?

Dass das Stadttheater Bruneck bald in das umgebaute Kolpinghaus einziehen wird, ist nicht nur für „unser“ Theater von essentiel ler Bedeutung, sondern für das Theater im

24 POLITIK & VERWALTUNG PZ 24 | 8. DEZEMBER 2022
Verwalter Kolpinghaus Bruneck Direktor Stadttheater Bruneck i.R.

Allgemeinen. Soll es doch, und das nicht nur für alle heimischen Theatergruppen, sondern auch für die Gastspiele des Kul turinstitutes, des Teatro Stabile und ande rer Tourneetheater, zu einer professionell ausgestatteten Spielstätte werden. Dafür ist auch dem Architekt Tasser zu danken, der unsere bautechnischen Anforderungen auf genommen und hervorragend in sein Projekt eingebaut hat. //

Bürgermeister

Dem Projekt liegt ja ein tolles Konzept zu

FinanzFlash

grunde, ausgearbeitet seinerzeit von uns als Stadtgemeinde zusammen mit den bei den Hauptakteuren, Kolping und Stadtthea ter Bruneck, mit der Vision, alle Bühnen von Bruneck – und darüber hinaus – unter einem Dach zu vereinen und damit ganz all gemein für die Theaterszene einen Mehr wert und für die einzelnen Bühnen Vortei le zu schaffen, wie etwa ein gemeinsames Ticketsystem beziehungsweise Marketing. Mit diesem Projekt schließt sich dann auch der Kreis von einer Serie von Projekten im Kulturbereich, die unsere Stadt verstärkt als Kulturstadt etablieren sollen: Die Räumlich keiten für Musik und Events im NOI -TechPark, der Tschurtschenthaler Platz für die künftigen Veranstaltungen im Freien und der Kunstraum für die bildende Kunst bezie hungsweise die Kunstateliers, allesamt Pro jekte, die bereits verwirklicht wurden oder in Bälde umgesetzt werden. Wir dürfen ru hig behaupten, dass Bruneck als kleine Stadt mit knapp 17.000 Einwohner ein kulturelles Angebot bietet, das sich gut und gerne mit einer Stadt mit der doppelten Größenord nung vergleichen lässt. Ein Verdienst von den vielen engagierten Akteuren in den ent sprechenden Institutionen und vor allem in den zahlreichen Vereinen. Genauso wichtig wie ein künftiges Haus des Theaters ist aber auch die Nutzung der oberen beiden Etagen für Studentenunterkünfte. Ich freue mich sehr darüber, dass es gelungen ist, die Uni

Ein schwieriges Anleihenjahr liegt hinter uns.

versität in Bruneck und das Kolpinghaus für eine entsprechende Zusammenarbeit begeis tern zu können und der Geist „Kolping“ so mit in dem neuen Haus weiterleben wird, sei es in Bezug auf die Unterbringung von Stu denten oder als Theatertreibende.

Sind mittlerweile alle nötigen, auch fi nanziellen Voraussetzungen geschaf fen, oder gibt es noch offene Baustellen? Das Projekt wurde ja jetzt in der Baukom mission genehmigt, und der Verein Kolping als Eigentümer und Projektleiter kann nun weiterplanen. Die Finanzierung ist zu einem großen Teil bereits abgedeckt. Es gab auch mehrere diesbezügliche Aussprachen mit Kulturlandesrat Philipp Achammer und die Zusage, dass das Projekt, wie für uns als Stadtgemeinde auch, sehr wohl auch beim Land eine große Priorität genießt. Was das Theater betrifft, sprechen wir ja von einer Co-Finanzierung zwischen Gemeinde und Land. Ich bin also zuversichtlich, dass wir die Restfinanzierung noch unter Dach und Fach bekommen. Einen konkreten Termin für den Baubeginn gibt es aber derzeit noch nicht, wir fassen das nächste Jahr zwar ins Auge, werden aber, sobald wir Genaues wis sen, alle Betroffenen frühzeitig in Kenntnis setzen. Das gilt selbstverständlich auch für die Kleiderkammer Bruneck, für die wir si cherlich beizeiten eine adäquate Lösung fin den werden. // Interviews: Judith Steinmair

AnlegerInnen, die ihr Kapital in Anleihenfonds oder Mischfonds mit Anleihenquote investiert haben, mussten im heurigen Jahr eine unerfreuliche Erfahrung machen.

Obwohl Anleihen als Anlage klasse mit moderatem Risiko gelten, werden sie das Jahr 2022 mit Verlusten im zweistel ligen Prozentbereich beenden. Dieses Ausmaß kennen wir sonst nur von Aktien.

Ausschlaggebend für die Ent wicklung war der scharfe An stieg der Leitzinsen, mit denen die Notenbanken die aus der Kontrolle geratene Inflation be kämpfen. Obwohl in Europa der Höhepunkt der Teuerung noch nicht erkennbar ist, deuten die sinkenden Energiepreise auf eine Besserung der Lage. Der Zinsanstieg dürfte also im We sentlichen hinter uns liegen. Wie sollen AnlegerInnen mit

den Verlusten umgehen? Es gilt zu bedenken, dass sich die Preise von Anleihen bis zu deren Fälligkeit auf 100 er holen, außer ein Emittent wird insolvent. Für gut diversifizierte Anleihenportefeuilles stellt dies aber kein Problem dar. Auch die bevorstehende Rezession wird die Kurserholung der An leihen begünstigen.

Erstmals wieder seit gut 10 Jahren, dürfen sich Investo rInnen mit neuem Geld über das aktuelle Zinsniveau freuen.

Ein Beispiel: Die Rendite von Unternehmensanleihen mit guter Bonität der Eurozone, für die es vor einem Jahr so gut wie keine Zinsen gab, liegt heute bei rund 4%.

Der heurige Kurseinbruch an den Anleihenmärkten ist ein Jahrhundertereignis. AnlegerInnen in Fonds mit einer Anleihenquote empfehlen wir die Einhaltung der angeratenen Behaltedauer. Dadurch profitie ren sie einerseits von der Preis erholung der Wertpapiere bis zur Fälligkeit und andererseits von den attraktiven Neuinvesti tionen im Fondsvermögen.

25 POLITIK & VERWALTUNG PZ 24 | 8. DEZEMBER 2022
ROLAND der Stadtgemeinde Bruneck und zuständig für das Ressort Kultur PZ: Immer noch überzeugt vom Projekt „Neues Kolpinghaus“? Roland Griessmair: Selbstverständlich!
raiffeisen-bruneck.com
Hugo Passler Berater Private Banking
Werbeanzeige

Gut durchdachte Familienpolitik

Enneberg schreibt sich schon seit vielen Jahren seine Familienfreundlichkeit auf die Fahnen. Nun ist die Gemeinde erstmals mit dem neuen Gütesiegel „FamilyPlus“ des Landes Südtirol ausgezeichnet worden. Projektleiterin und Vizebürgermeisterin Elisabeth Frenner erklärt die Grundhaltung, die dahinter steckt: Bei jeder Entscheidung, die die Gemeinde trifft, wird Familie mitgedacht.

Begonnen hat alles bereits im Jahr 2008. In vielen Versammlungen, Diskussionen und Arbeitsgruppen haben sich die Menschen in Enneberg Ge danken über die Zukunft ihrer Dörfer und Weiler gemacht. Über Monate hindurch wur den gemeinsam mit der Gemeindeverwal tung Ideen und Vorschläge gesammelt und besprochen und schließlich in einem Leit bild für die künftige Entwicklung der Ge meinde Enneberg festgehalten. „Wir räumen der Familie den ihr gebührenden hohen Stel lenwert ein“, heißt es auf den ersten Seiten. Dass die Gemeinde ihren Leitsatz „Worte interessieren nicht, wenn nicht Taten fol gen“ (Johann Wolfgang von Goethe) sogleich ernst genommen und nur ein Jahr später, al so 2009, das Familienzentrum - Zënter Fami lies Mareo in St. Vigil gegründet hat, sprach schon damals für ihre Tatkraft und die aktive Beteiligung ihrer Bürgerinnen und Bürger.

PARTIZIPATION

Denn das Familienzentrum - Zënter Fami lies Mareo war das Ergebnis eines partizi pativen Prozesses. Eine Elterninitiative in Enneberg äußerte den Wunsch, einen Treff punkt für die ganze Familie aufzubauen.

Am 23.9.2022 wurde die Zertifizierung von Enneberg mit dem neuen Gütesiegel vorgenommen.

Nicht nur Familien mit Kleinkindern, son dern auch größere Kinder, Jugendliche und ältere Menschen, sprich Familien in ihren unterschiedlichsten Formen, sollten ihren Platz dort haben.

Die Eltern holten sich daraufhin die Unter stützung der Koordinatorin des damals neu gegründeten, bezirksweiten Netzwerks „Bündnis für Familie“, Irmgard Pörnbacher. Als Leiterin des Bildungsweg Pustertal (BI WEP) begleitete sie bereits seit 2004 Gemein den hin zu mehr Familienfreundlichkeit und verfügte über die entsprechende Erfahrung. Sie brachte zusammen mit den Eltern ihr Anliegen bei der Gemeinde Enneberg vor. Irmgard Pörnbacher konnte nicht nur inhalt liche Hilfestellungen geben, sie verhandel te auch mit dem Land Südtirol über finan zielle Förderungen für das Familienzentrum in Enneberg.

ES BRAUCHT VIELE

Familienfreundliche Gemeinden bedürfen vieler Akteure, die gut zusammenspielen – darunter politische Entscheidungsträge rInnen, die eine zentrale Rolle darin ein nehmen. Elisabeth Frenner, heute Vizebür

germeisterin von Enneberg, kam 2010 als Referentin für Familie und Soziales in die Gemeindepolitik. Die für sie wichtigste Fra ge lautet seither: „Wie können wir die Fami lien unserer Gemeinde stärken und unter stützen?“ Als einen der ersten Schritte als Lokalpolitikerin veranlasste sie, dass die Ge meinde Enneberg Mitglied im „Bündnis für Familie“ wurde. Seitdem gibt es regelmäßig stattfindende Versammlungen, bei denen die Gemeinde ihre Familien dazu ermutigt, sich einzubringen und zu beteiligen. Als es etwa um die Frage ging, die Kleinkindbe treuung für Enneberg zu reaktivieren, wollte die Gemeinde in Gesprächen mit den Fami lien unmittelbar in Erfahrung bringen, was diese für ihre Kleinsten wollten. Das Ergeb nis war der Bau einer großen Kindertages stätte mit Plätzen für 30 Kinder.

FAMILIENFREUNDLICHES

LEBENSUMFELD

Auch im „Netzwerk Kinderzeit“, das 2014 auf Anregung des „Bündnis für Familie“ gegrün det wurde und Anbietende von Kinderbe treuung im Pustertal miteinander vernetzt, ist die Gemeinde Enneberg vertreten. Denn

26 POLITIK & VERWALTUNG PZ 24 | 8. DEZEMBER 2022
ENNEBERG

als Trägerin von Bildungs- und Betreuungs angeboten gestaltet eine Gemeinde das Le bensumfeld von Familien wesentlich mit –und spielt somit eine entscheidende Rolle bei der Vereinbarkeit von Familie und Be ruf. Familien werden gestärkt, wenn ihr Le bensumfeld gut auf sie abgestimmt ist. Das bedeutet zum Beispiel, dass Bildung und Be treuung, Ferien und Freizeit, aber auch Ar beits- und Öffnungszeiten besser mit dem Leben mit Kindern vereinbar sind. In dieser Hinsicht nimmt Enneberg – zusammen mit der Nachbargemeinde St. Martin in Thurn –eine Vorbildfunktion ein. Enneberg verfügt nämlich über zwei wichti ge Kriterien, von denen viele Eltern im rest lichen Pustertal nur träumen können: ein heitliche, tägliche Öffnungszeiten von 7:30 bis 14:10 Uhr von der Kindertagesstätte, den Kindergärten und Grundschulen bis hin zur Mittelschule sowie ein warmes, gesundes Mittagessen für sämtliche Kinder der Ge meinde bis 14 Jahre, das in den Mensen und Küchen vor Ort täglich frisch gekocht wird.

HILFREICHE NETZWERKE

Der Bildungsweg Pustertal mit Irmgard Pörnbacher sowie die in ganz Pustertal ver netzten Mitglieder des „Bündnis für Fami lie“ und des „Netzwerk Kinderzeit“ blie ben für die Gemeindepolitikerin Elisabeth Frenner wichtige Anlaufstellen, um dem Ziel ihrer Gemeinde näher zu kommen: ein durch und durch familienfreundliches Enneberg. Im Zuge dieser Vernetzung – genauer ge sagt, mit Unterstützung von Edith Strobl, der Gründerin der Zeitbank Hochpustertal – baute Elisabeth Frenner 2018 die Zeitbank „MareoDëida“ unter Beteiligung von enga gierten Bürgerinnen und Bürger in Enne berg auf. Zeitbanken sind besonders für Fa milien und ältere

Menschen eine große Hilfe, denn mit ihnen wird die oftmals verloren gegangene Nach barschaftshilfe in organisierter Form wie der aktiviert.

FAMILYPLUS

Die Gemeinde Enneberg bemüht sich also seit vielen Jahren, ein Ort zu sein, an dem sich Familien wohlfühlen: Räume für Kin der und Familien, familienfreundliche Öff nungszeiten, Förderung der vielen aktiven Vereine, Strukturen für Freizeit, reduzier te Tarife für Kindergarten und Mensa, Hilfe für pflegebedürftige Menschen und ande re familiensensible Entscheidungen tragen wesentlich dazu bei. Mit der Auszeichnung „FamilyPlus – Familie leben, vivere la famig lia, viver la familia“ der Familienagentur des Landes Südtirol wurden diese Bemühungen nun gewürdigt. Der Wunsch, eine struktu rierte Verbesserung der Lebensqualität der Familien in Enneberg auch in Zukunft – über die Legislaturen hinaus – zu sichern, war der Grund für die Teilnahme Ennebergs am Audit „FamilyPlus“. Mit dem Abschluss des ersten Zyklus ist ein wichtiger Schritt getan. Weitere Schritte im Auditverfahren werden folgen, um den erfolgreich eingeschlagenen Weg fortzusetzen.

FAMILIE MITDENKEN

Familien seien der Kern einer Gemeinschaft, auf den sich alles aufbaut, so Elisabeth Fren ner, da seien sich wohl alle einig. Für sie als Vizebürgermeisterin bedeute Familien freundlichkeit, dass bei jeder Entscheidung, die die Gemeinde trifft, Familie mitgedacht wird. Wobei der Begriff „Familie“ alle Ge nerationen meine – von den Kleinsten und ihren Eltern, den Jugendlichen und erwach senen Kindern, den kinderlosen Paaren bis hin zu den alten Menschen. Jede Generation

solle sich in ihrem Dorf und in ihrer Gemein de wohlfühlen. Auch sie persönlich als Mut ter eines inzwischen 19jährigen Sohnes habe von den familienfreundlichen Maßnahmen in Enneberg profitiert. Sie wusste ihr Kind im Dorf stets gut aufgehoben. Für den Nach mittag und die Ferien waren die Sportgrup pe ihres Sohnes und das aktive Vereinsleben in Enneberg sehr wichtig. Sie hat Hilfe und Unterstützung bei der Pflege und Versor gung ihrer eigenen Mutter bekommen. Und zu guter Letzt war es für sie als berufstätige Mama enorm hilfreich, dass ihr Sohn im Kin dergarten und in der Schule jeden Tag ein gutes, warmes Mittagessen bekommen hat.

ELISABETH

PFENNER

ist Mutter eines 19jährigen Sohnes. Sie arbeitet als Lehrperson für BWL und als Vizedirektorin an der WFO in Stern/Abtei. Seit 2010 ist sie Refe rentin für Familie und Soziales in der Gemeinde Enneberg, deren Vizebür germeisterin sie heute ist. Elisabeth Frenner sitzt im Vorstand von BIWEP und beschäftigt sich bereits seit vie len Jahren mit dem Thema „familien freundliche Gemeinde“. // gt

27 POLITIK & VERWALTUNG PZ 24 | 8. DEZEMBER 2022
MITNÔNDO. PRISMA UND CASTELLANUM WERDEN EINS

Die Unverwüstliche

Claudia Sieder aus Sand in Taufers hat im heurigen Jahr exzel lente Laufergebnisse erzielt. Die vom Mountainbikesport kom mende Athletin - Jahrgang 1988 – hat ihre Ziele neu definiert und ihren Fokus nun auf den Laufsport ausgerichtet. Mit gro ßem Erfolg. Wir haben nachgefragt.

PZ: Claudia, du bist eine ambitionierte Sportlerin, wie bist du überhaupt zum Sport gekommen?

Claudia Sieder: Durch die Initiative eines Freundes meiner Familie habe ich mit neun Jahren das erste Mal bei einem Radrennen teilge nommen, gleich eine Medaille umgehängt bekommen und so meine Freude am Leistungssport gefunden. Ich war Mitglied der italieni schen Mountainbikenationalmannschaft und habe auch an Welt meisterschaften teilgenommen. Nach der Matura habe ich ein Ju rastudium in Innsbruck begonnen – leider nicht beendet -, doch irgendwann reichten die finanziellen Mittel zur Ausübung des Sports nicht mehr aus. Ich habe dann Ausbildungen zur Personaltrainerin, Ernährungsberaterin für Sportler, Saunawartin, zum Mountainbi keguide und zur Yogalehrerin absolviert. Eigentlich kann ich mich auch als wandelndes Fitnessstudio bezeichnen.

Warum hast du dich wieder für den Wettkampfsport ent schieden?

Als Fitnesstrainerin und Aufgussmeisterin im Hotel Schwarzens tein in Luttach habe ich sozusagen mein Hobby zum Beruf gemacht. 2016 wurde mein Sohn geboren, eigentlich alles bestens, doch ir gendwann habe ich das Gefühl entwickelt, mit meiner Arbeit und als Mama nicht ausgefüllt zu sein. Ich habe mir gedacht, da geht noch was! Da ich immer schon gerne gelaufen bin, habe ich wäh rend des Lockdowns viel Zeit zum Trainieren gefunden und gese hen, dass bei mir noch Potential vorhanden ist. Die Teilnahme bei einigen Hobbyläufen hat mich motiviert auch da ich die meisten da von gewonnen habe… Mein Fazit: was wäre näher, als diesen Sport wettkampfmäßig auszuüben?!

Kannst du für uns deine Ziele definieren… Kurz und bündig, ich möchte mich im Trailsport etablieren. Mein Ziel sind große internationale Läufe, wie die Golden Trail Series,

eine Wettkampfserie bei der sich die besten Athleten und Athletin nen der Welt messen. Zurzeit absolviere ich Rennen zwischen 30 und 50 Kilometern und ich liebe Rennen wie anspruchsvolle Alpin trails, am liebsten mit 3000 Höhenmetern!

Wie bereitet man sich auf solche Rennen vor, wie sieht dein Trainingsplan aus?

Seit November bin ich im Trainerteam von Alan Wandering, die Be treuung erfolgt digital. Mein Trainer hat Zugriff auf die Daten meiner Sportuhr und kann so mein Training steuern. Er analysiert meine Rennen, meine Pulswerte, gibt mir über Videocall vor den Läufen die Taktik und die Renneinteilung vor. Die digitale Entwicklung machts möglich!! Mein Trainingsfleiß kommt mir auch zugute, denn ein täg liches Training von bis zu fünf Stunden ist für mich selbstverständ lich und für meine sportlichen Erfolge unumgänglich.

Wie bringst du Beruf, Kind, Wettkämpfe und Training unter einen Hut?

Ich habe eine tolle Familie, die bedingungslos hinter mir und mei nen Zielen steht. Mein Mann, meine Eltern, Schwiegereltern und meine Freunde unterstützen mich tatkräftig, auch bei der Betreu ung meines Sohnes. Meine Arbeit habe ich auf 75 Prozent reduziert um Zeit für mein Training und die Wettkämpfe zu haben. Eigentlich kann ich sagen, es dreht sich alles um meinen Sport.

Auch ein Trainer kostet, wie finanzierst du deine Ausgaben?

Ich habe einige treue Sponsoren, allerdings reicht dies nicht aus, die Kosten für Fahrtspesen, Unterkunft und Startgelder zu decken, deswegen bin ich noch auf der Suche nach einem größeren Spon sor. Leider ist die Berichterstattung über den Trailsport (im Be sonderen über die Frauen in diesem Sport) in den Südtiroler Me dien deutlich unter der Wahrnehmungsgrenze. Dies bedeutet dass ich meine Läufe und Ergebnisse auf den sozialen Plattformen pos ten muss, um eine Sichtbarkeit zu erreichen. Vor kurzem habe ich Zusammen mit Christine Griessmair eine Firma gegründet. Wie es schon der Name „Your Trainer on the Road“ ausdrückt, sind wir ein

28
& MENSCHEN PZ 24 | 8. DEZEMBER 2022
GESELLSCHAFT
CLAUDIA SIEDER Yoga ist für Claudia Sieder ein wichtiger Bestandteil ihres Trainings. Erschöpft aber glücklich im Ziel bei einem der vielen Rennen. Privat Privat

mobiles Fitnessstudio. Wir bieten Privatkurse, Trainingsstunden in Schulen, in Hotels oder für Vereine an. Die Kund/innen müssen nicht zu uns, wir kommen zu ihnen!

Eine letzte Frage, du verlangst deinem Körper sehr viel ab, was gibst du ihm zurück?

Ich achte auf eine gute Ernährung. Durch meine Histaminintole ranz muss ich leider auf vieles verzichten, doch es gibt gute Alter nativen und diese für mich verträglichen Lebensmittel esse ich in Massen. Außerdem praktiziere ich viel Poweryoga, dies hält mei ne Gelenke und Muskeln geschmeidig, schwöre auf Schüsslersal ze und Homöopathie, und vor allem auf meine Schokolade (lacht). Und meine mentale Stärke hat mir schon oft geholfen, irgendwel che Durchhänger oder körperliche Müdigkeit zu überwinden.

// Interview: Monika Gruber

DIE HEURIGEN LAUF-RESULTATE VON CLAUDIA SIEDER

1. Platz beim Sky Ratschings Mountain Trail 1. Platz beim Transalp Run 2 im Team mit Christine Griessmair 1. Platz 2x2 Staffel Plose mit Christine Griessmair 2. Platz bei der Tour de Tirol (drei Etappen 75 km und 3500 Hö henmeter) 3. Platz beim Salzburger Trailfestival 6. Platz bei der Italienmeisterschaft 3. Platz beim Ötzi Trail Run in Naturns hinter der Olympioni kin Anna Hahner und der amtierenden Italienmeisterin 3. Platz bei der Golden Trail National Serie im Pitztal (der größ te Erfolg dieser Saison) //

29 GESELLSCHAFT & MENSCHEN PZ 24 | 8. DEZEMBER 2022
Claudia mit Sohn Damian. Privat Zieleinlauf mit Christine Griessmair zum Sieg beim Transalp Run.

Pepi übergibt den Taktstock

Pepi Fauster hat vor kurzem nach zehn Jahren den Taktstock an Maximilian Mess ner übergeben. Im Rahmen der letzten Cäcilienfeier wurde das vollzogen. Er blickt auf eine umfangreiche Tätigkeit zurück.

Im Jahr 2013 übernahm Pepi Fauster aus Nie derdorf die musikalische Leitung der Musik kapelle Reischach. Sein Name war und ist landauf, landab in ganz besonderer Weise mit der Blasmusik verbunden, schließlich hatte er von jungen Jahren an stets Aufga ben und Funktionen auf Vereins- und Ver bandsebene inne. Als Kapellmeister war Rei schach nach Prags (1987-1989 und 1993-1996), St. Georgen (1990-1991), Niederdorf (19911993) und Toblach (1997-2011) seine fünfte Station. Als Verbandsobmann des VSM (20072022) trug er die Reischacher Tracht ins gan ze Land hinaus.

EIN TOLLER KLANGKÖRPER

Auf die gute Arbeit seines Vorgängers Josef Oberschmied aufbau end, konnte Pepi Fauster am Reischacher Klangkörper weiter feilen. Sauberes, musikalisch ausgeglichenes und formvollendetes Musi zieren war sein oberstes Gebot, das er mit großem Eifer verfolgte. Dem Neuen gegenüber stets aufgeschlossen, wurden unter seiner Leitung gar einige musikalische Ausrufezeichen gesetzt: Die Früh jahrskonzerte lockten alljährlich zahlreiche Blasmusikbegeister te nach Reischach, die Opernabende „O Belle Nuit“ 2017 hinterlie ßen bei allen einen bleibenden Eindruck und das Faschingskonzert 2019 zeigte die Musikkapelle Reischach von einer ganz neuen Seite. Bei den zahlreichen Auftritten im eigenen Dorf und darüber hinaus begeisterte der Reischacher Klangkörper regelmäßig das Publikum. Als pensionierter Lehrer lag ihm stets auch der Nachwuchs am Her zen und immer wieder wurden Projekte in Zusammenarbeit mit der Grundschule durchgeführt, wie etwa die Blockflötenklasse, das Auf führung des Märchens Rapunzel oder das diesjährige Kinderkonzert.

ZU GROSSEM DANK VERPFLICHTET

Für seine zehnjährige Kapellmeistertätigkeit, vor allem aber sein großes Engagement, bedankte sich die Musikkapelle Reischach im Rahmen der Cäcilienfeier am 25. November 2022 im Hotel Rudolf bei ihrem scheidenden Kapellmeister. Neben den Vertretern des Dorfes, die zahlreich an der Feier teilnahmen, sind die Spitze des VSM-Be zirkes Bruneck mit Bezirksobmann Johann Hilber und Gebietsver treter Josef Unterfrauner sowie Bürgermeister Roland Griessmair nach Reischach gekommen. „In den vergangenen zehn Jahren ha ben wir gemeinsam Vieles bewegen können. Bei unseren Auftritten haben wir viel Applaus erhalten und dafür gebührt Pepi Fauster ein großer Dank. Seinem Nachfolger Maximilian Messner wünschen wir einen guten Start und freuen uns auf die Zusammenarbeit“, so Musikobmann Florian Lahner. Maximilian Messner stammt aus St. Georgen und begann nach abgeschlossener Ausbildung seine Ka pellmeisterlaufbahn in Uttenheim. Die letzten acht Jahre leitete er die Musikkapelle Pfalzen und mit Jahresbeginn übernimmt er die musikalische Leitung der Musikkapelle Reischach. // fl

30
& MENSCHEN PZ 24 | 8. DEZEMBER 2022
GESELLSCHAFT
MUSIKKAPELLE REISCHACH
Von links: Maximilian Messner, Pepi Fauster und der Obmann der MK Reischach, Florian Lahner.

Singen verbindet

Geehrt: Der Kirchenchor Aufhofen zeichnet Andrea Oberparleiter und Luis Winkler für ihren jahrzehntelangen Einsatz aus. Es war eine besondere Feier.

Hallelujah! Er hält zusammen, er verbindet, er macht die Messfeier besonders – gerade in kleinen Dörfern ist der Kir chenchor wichtig. Über 90 Jahre kann der 500-Seelen-Ort Aufhofen auf seinen Kirchenchor zählen. Die Leitung hat mit And rea Oberparleiter eine echte Könnerin inne. Die Aufhofnerin studier te Gesangspädagogik und Konzertfach und ist seit Jahren als Sopra nistin im deutschsprachigen Raum unterwegs. Die Verbindung zu ihrem Heimatchor hat sie aber nie abbrechen lassen.

Der Kirchenchor ist bei den Oberparleiters seit jeher Familiensache. Schon Andreas Vater Johann war 45 Jahre Chorleiter in Aufhofen. Geduld braucht es, um die Laiensänger zu Höchstleistungen anzu spornen. Das gelingt Oberparleiter mit ihrem großen Wissen, auch aus liturgischer Sicht, wie Pfarrer Peter Lanthaler betont.

EIN RÜHRIGER VEREIN

18 Mitglieder hat der Aufhofner Kirchenchor. Wie sehr der Chor sein Repertoire durch den Einsatz der jungen Chorleiterin im Lauf der Jahre vergrößern konnte, erleben Zuhörerinnen und Zuhörer immer wieder an Festtagen. Am Cäciliensonntag, dem wichtigsten Tag im Kirchenkalender für Sängerinnen und Sänger, wurde in Aufhofen jüngst zwei besonders verdienten Mitgliedern gedankt. Für 32 Jahre im Kirchenchor, davon 20 Jahre als Chorleiterin, wurde Andrea Oberparleiter ausgezeichnet. „Mindestens 20 weitere Jah re”, wünschte sich Pfarrgemeinderatspräsident Martin Winkler bei seiner Dankesrede. Für 60 Jahre als Mitglied des Kirchenchors, da von viele Jahre als Kassier und Kantor, wurde Luis Winkler gewür digt. Auch an ihn erging die Bitte, viele weitere Jahre in den Dienst der Kirchenmusik zu stellen. Winkler freute sich darüber hinaus über die Madonnenplakette vom Verband der Südtiroler Kirchen musik. Bei der anschließenden Cäcilienfeier des Chores wurde so viel Engagement und Freude am Singen in den Mittelpunkt gestellt und das eine oder andere Lied zum Besten gegeben. Wenn Andrea Oberparleiter unterwegs ist, um ihre Stimme in die Welt zu bringen, bleibt es im Dorf nicht still. Dann treffen sich die

Mitglieder des Chors auch in kleinen Gruppen, etwa dem Männer quartett oder einer Frauenrunde zum Singen. Neben dem Kinderchor betreut Oberparleiter eine Kindersinggruppe. Wie gut die Forma tionen (nicht zu vergessen auch die Bläser mit ihren Instrumenten) harmonieren, zeigt sich bei unterschiedlichen Anlässen. In Aufho fen spielt eben die Musik. // vd

31 GESELLSCHAFT & MENSCHEN PZ 24 | 8. DEZEMBER 2022
KIRCHENCHOR AUFHOFEN
Die Sängerinnen und Sänger des Kirchenchores von Aufhofen. Andrea Oberparleiter und Luis Winkler wurden ausgezeichnet (vorne). Mit ihnen freuten sich Pfarrgemeinderatspräsident Martin Winkler, Pfarrer Peter Lanthaler und Obfrau Kathrin Oberleiter (v.l.).

Sie hat das Hobby zum Beruf gemacht

Die Liebe zum Kochen hat Birgit Mair am Tinkhof von ihrer Mama. Schon als kleines Mädchen sitzt sie neben dem Herd und schaut dabei zu, wie immer wieder neue Rezepte in köstliche Gerichte verwandelt werden. Später fängt sie selbst an, sich an den Kochtöpfen auszuprobieren. Sie lädt Freunde ein, veran staltet das perfekte Dinner und beschließt, trotz ihrer Ausbildung zur Kindergärtnerin eine Kochlehre anzuhängen. Heute ist sie als Vertreterin einer bekannten Küchenmaschine erfolgreich und zeigt ihren 2500 Followern auf Instagram, was mit ein bisschen Freude am Kochen alles möglich ist.

PZ: Sie sind mit vier älteren Geschwis tern in Mühlwald aufgewachsen. Da war am Herd bestimmt immer was los? Birgit Mair am Tinkhof: Auf jeden Fall. Als wir aus der Schule nach Hause gekommen sind, stand immer etwas Leckeres auf dem Tisch. Das war für unsere Mama sehr wich tig. Dabei hat sie sich nicht nur auf die typi sche Küche konzentriert, die in ihrer Gene ration vielleicht üblich war, sondern immer wieder neue Rezepte ausprobiert. Auch in Zeitungen hat sie gestöbert, um sich inspi rieren zu lassen. Besonders später wusste ich das sehr zu schätzen. Die Liebe zu Le bensmitteln und zu gutem Essen habe ich si cher von ihr. Und das Kochen begleitet mich eigentlich schon die ganze Zeit.

Sie sind Kindergärtnerin geworden, da ist beim täglichen Menü die Küche ja eher auf den Gaumen der Kleinsten ausgerichtet… Schlutzer, Gulasch, Püree, echte Kinderkü che eben. Meine Küche kam dann am Abend und am Wochenende dran. Ich habe ständig aufgekocht und Freunde eingeladen. Wir ha

ben auch das perfekte Dinner veranstaltet, nach dem Vorbild der Kochsendung. Dann kam unser erster Sohn zur Welt, Toni. Ich war also zuhause und am Anfang natürlich

Mühlwald auf. Sie besucht die Uni in Brixen und arbeitet im Anschluss als Kin dergärtnerin. Ihre Leidenschaft ist seit jeher das Kochen. Sie probiert neue Re zepte aus, bekocht Freunde und geht An fang 2019 mit einem eigenen Foodblog an den Start. Im Mai desselben Jahres schließt sie eine Kochlehre an der Lan deshotelfachschule Savoy in Meran ab. Seit 2020 ist die Mutter von zwei Buben Vertreterin einer bekannten Küchenma schine, seit 2021 steht sie einem Team von 50 Vertreter:innen vor. Mair am Tink hof lebt mit ihrer Familie in Brixen.

Infos und Rezepte unter: www.birgeat.it www.instagram.com/birg.eat_thermomix_suedtirol

voll und ganz mit ihm beschäftigt. Mit der Zeit hatte ich aber auch wieder die Muse, mehr zu kochen. An einem Abend schaute ich mit meinem Mann wie so oft eine Koch sendung an. Und irgendwie fing ich an, wäh renddessen im Netz herumzuklicken und nach Kochausbildungen in Südtirol zu su chen. Mein Mann Philipp meinte dann: War um eigentlich nicht? So viel wie du dich mit dem Kochen beschäftigst!

Eine Kochlehre? Mit einem kleinen Kind und einem Job, den man gerne macht?

Lustig, nicht? Ich habe ein bisschen recher chiert und gesehen, dass an der Landesho telfachschule Savoy in Meran eine Kochlehre angeboten wird, deren Besuch für mich zeit lich möglich war. Intensive Praxiszeiten la gen hintereinander, einen kleinen Teil der Theorie und die Vorbereitung auf die Prü fung konnte ich Zuhause machen. Es ging im September los und im Mai war der Ab

MENSCHEN IM PORTRÄT 32 PZ 24 | 8. DEZEMBER 2022
Birgit Mair am Tinkhof, Jahrgang 1984, wächst mit vier älteren Geschwistern in Weihnachten kann kommen: Das Lebkuchenhaus und die gebrannten Mandeln sind zwei Kreationen von Birgit Mair am Tinkhof.

schluss. Wir haben eine traditionelle Aus bildung erhalten. Diese Basis war der per fekte Grundstein für mich, danach meine Linie einzuschlagen.

Was war denn diese Linie? Ganz genau wusste ich das in dem Moment selbst noch nicht. Ich habe die Ausbildung nach dem Motto gemacht: Was man hat, hat man. Ich bin überzeugt davon, dass man er folgreich ist und sich Dinge ergeben, wenn man etwas mit Freude macht. Was mir im mer klar war: Ich wollte etwas mit Kochen machen. Aber ich wusste, dass ich mit einem kleinen Kind daheim nicht sofort fix in einer Küche anheuern kann.

Nun sind ein paar Jahre seit der Ausbil dung vergangen, Toni hat einen Bruder bekommen und Sie selbst eine neue Aufgabe. Hat sich das einfach ergeben? Meine Schwester lebt in Wien und sagte mir immer, dass ich mir unbedingt eine Bimby anschaffen muss. Das ist eine Küchenma schine, in Österreich heißt sie Thermomix. Aber ich habe immer abgewunken. Ich ko che so gerne, sagte ich, die brauche ich gar nicht. Dann lud mich meine Nachbarin ein mal zu einer Vorführung der Maschine ein, und ich war hellauf begeistert. Ich habe sie sofort angeschafft und ständig damit ge kocht. Auf Instagram habe ich dabei auch nach Tipps und Rezepten gesucht und das

Profil einer Österreicherin gefunden, die als Vertreterin der Maschinen arbeitet. Da dach te ich, das würde mir auch gefallen. Und so habe ich mich dafür beworben.

Es ging dann alles ganz schnell. Nun sind Sie Teamleiterin und für 50 Ver treterinnen und Vertreter verantwort lich. Erstaunt?

Meine Geschwister und meine Freunde ha ben mich am Anfang sehr unterstützt und gleich alle fleißig bei mir bestellt. Mein Ein stieg als Vertreterin war also sehr positiv. Nun mache ich als Teamleiterin auch die Einschulungen für neue Mitarbeiterinnen und Mitarbeiter. In ganz Italien gibt es über 1200 Teamleiterinnen. Mein Team ist, was

den Verkauf betrifft, die Nummer eins in Ita lien. Das freut mich natürlich sehr.

Bei Vorführungen zeigen Sie Interes sierten, wie die Maschine funktioniert. Bleibt da die Zeit, Ihre Art von Küche zu zeigen?

Mir ist wichtig, dass die Leute im Lauf der Vorführung alle Funktionen der Maschi ne kennenlernen. Im Vorfeld kläre ich auch ab, was die Vorlieben sind und ob Unver träglichkeiten da sind. Einen kleinen Ein blick in meine Art des Kochens versuche ich schon zu geben. Essen muss für mich ge sund sein und trotzdem gut schmecken. Und dann mag ich es, wenn ein besonderes Ge würz oder ein exotischer Geschmack

Ab 1.

33 PZ 24 | 8. DEZEMBER 2022
MENSCHEN IM PORTRÄT
Dezember (ausgenommen Sonn- und Feiertage) wird 2x täglich zwischen 07:00 und 19:00 Uhr - im Programm verstreutein besonderes Weihnachtsglöckchen zu hören sein. Sobald das Glöckchen erklingt haben die Hörer 15 Minuten Zeit sich über ein Formular auf der Homepage anzumelden und da mit die Chance von uns beschenkt zu werden. Es werden insg. 20 Geschenkgutscheine von Conad und Eurospin von Anjoka im Wert von jeweils 150 Euro und am 24. Dezember ein Wellness gutschein vom Hotel Schwarzenstein in Luttach vergeben! Vom 1. bis 23. Dezember von Montag bis Freitag! Verschiedene Foodblogger verraten uns köstliche Keksrezepte. Reinhören lohnt sich, denn wir verschenken 16 Geschenkkörbe mit verschiedenen Mehlen von Rieper! Der Holiday-Adventskalender Die Holiday-Weihnachtsbäckerei 12. 24. 19. 14. 4. 6. 5. 2. 7. 3. 10. Tel. 0474 410111 • WhatsApp 393 22 33 222 • info@radioholiday.it • www.radioholiday.it Seit zwei Jahren arbeitet Birgit Mair am Tinkhof als Vertreterin einer bekannten Küchenmaschine. Interessierten zeigt sie, was damit alles möglich ist. >>

drin ist. Auch deshalb, weil mich die Küche anderer Länder begeistert. Humus, Linsen dal, asiatische Gemüsegerichte, solche Sa chen. Ich bringe auch oft etwas zu kosten mit, um zu zeigen, was alles mit der Maschi ne möglich ist.

Porridge zum Beispiel. Ihr Lieblings essen?

Für den Start in den Tag auf jeden Fall. Wir frühstücken mittlerweile Zuhause alle nur noch Porridge. Während wir uns im Bad für den Tag fertigmachen, rührt die Maschi ne unser Frühstück. Sofia, eine Freundin, liebt Porridge genau wie ich und ist eben falls begeisterte Köchin. So sind wir auf die Idee gekommen, Porridge-Rezepte für die Weihnachtszeit zu entwickeln, mit Linzer, mit Lebkuchen, mit Zelten. Jede Woche stel len wir ein Video dazu online und irgend wann bringen wir vielleicht auch ein Rezept buch heraus.

Kindergarten ade?

Wer weiß das schon genau? Ich denke, es ist heute nicht mehr so, dass man ein gan zes Leben in einem Beruf bleibt. Eine Rück kehr irgendwann ist für mich nicht ausge schlossen. Für den Moment liebe ich aber,

LINZER- PORRIDGE IM THERMOMIX

ZUTATEN für 4 Portionen - 50 g geröstete, geschälte Haselnüsse - 5 Gewürznelken - 2 Medjooldatteln, entkernt - ½ TL Zimtpulver - 1 Prise Salz - 100 g Haferflocken - 500 g Wasser

Für das Topping - 2 EL Preiselbeermarmelade - 2 EL getrocknete Preiselbeeren - 2 EL Haselnüsse, grob gehackt - 4 EL Weihnachtliches Granola - etwas Zimtpulver

ZUBEREITUNG

- Haselnüsse und Gewürznelken in den Mixtopf geben und 15 Sek, Stufe 10 mahlen.

- Datteln, Zimt, Salz und Wasser dazu geben und 1 Min, Stufe 10 mixen.

- Haferflocken dazugeben und 8 Min, 95 Grad, Linkslauf, Stufe 1 rühren las sen.

- 2 Minuten im Mixtopf ziehen lassen und auf 4 Schüsseln verteilen.

- Mit den Toppings garnieren und ge nießen. //

LINZER- PORRIDGE IM TOPF

ZUTATEN für 4

Portionen

- 500 g Mandelmilch, ungesüßt - 1 EL Haselnussmus - 1-2 EL Dattelsirup oder Ahornsirup - 100 g Haferflocken - ½ TL Zimt - ¼ TL Nelkenpulver - 1 Prise Salz

Für das Topping - 2 EL Preiselbeermarmelade - 2 EL getrocknete Preiselbeeren - 2 EL Haselnüsse gehackt - 4 EL weihnachtliches Granola - etwas Zimtpulver

was ich tue. Ich bin zwar sehr eingespannt, aber die Zeit kann ich mir frei einteilen, was sehr praktisch ist mit zwei kleinen Kindern. Vor meiner Zeit als Bimby-Vertreterin hatte ich ja schon einen Foodblog, wo ich über Rezepte geschrieben habe. Jetzt, als Team leiterin fehlt mir die Zeit, täglich Rezepte zu posten. In den Stories zeige ich aber regel mäßig welche.

ZUBEREITUNG

- Alle Zutaten in einen kleinen Topf mit dickem Boden geben, mit einem Kochlöffel alles gut verrühren, bis es kocht. Nun die Temperatur zurück schalten und unter ständigem Rühren 5 Minuten köcheln, bis es eine sämige Konsistenz hat.

- Im Topf kurz ziehen lassen, auf 4 Schüsseln verteilen, mit den Toppings garnieren und genießen. //

Kocht die Mama mittlerweile auch mit einer Küchenmaschine?

Sie wollte das zuerst gar nicht, weil sie dach te, dass sie es nicht kann. Heute sagt sie, dass sie den Teig für Tirtlan vorher nie so gut hinbekommen hat. Das ist es ja: Wenn man einmal damit angefangen hat, kann man nicht mehr aufhören.

// Interview: Verena

IM PORTRÄT 34 PZ 24 | 8. DEZEMBER 2022
MENSCHEN
Wenn Birgit Mair am Tinkhof kocht, dann setzt sie auf frische Lebensmittel, neue Ideen und die Hilfe einer Küchenmaschine. Gesund und lecker: Energiekugeln. Cremig und weihnachtlich: Linzer-Porridge.

SCHADENSERSATZ BEI VERKEHRSUNFÄLLEN – ZEUGEN UND FOTOS

ERHÖHUNG DER GIS FÜR LEERSTEHENDE WOHNUNGEN

Gerade bei Verkehrsunfällen ist es – aufgrund der Vielzahl an ge richtlichen Verfahren – von höchster Relevanz, stets ajour zu blei ben und sich mit den aktuellen Urteilen zu befassen, da es immer wieder zu bedeutenden Interpretationen gesetzlicher Bestim mungen kommt.

So geschehen mit Urteil Nr. 28924 vom 10. Oktober 2022, wo sich der Kassationsgerichtshof mit der Beweiskraft von Fotos und Zeugen bei Schadensersatzverfahren betreffend Verkehrsunfäl le auseinandersetzte. Dabei ist dieser zu interessanten Schlüssen gelangt, die im Folgenden näher beleuchtet werden. Nicht selten ist es diffizil, infolge eines Unfalles präzise festzustel len, wie sich die Dynamik ereignete bzw. welchem Fahrer/Fahrzeug das Verschulden angelastet werden kann. Eines der wichtigsten Beweismittel, auf welches hierbei regelmä ßig zurückgegriffen wird, ist die Zeugenaussage

In der Praxis kommt es aber – leider – nicht selten vor, dass das korrekte Unfallgeschehen durch unwahre Zeugenaussagen oder gar durch „falsche“ Zeugen, die erst Monate nach dem Ereig nis überraschend zum Vorschein kommen, verzerrt wird. Dies hat unter Umständen fundamentale Auswirkungen auf die Schadens ersatzverurteilung.

Um genanntem Phänomen vorzubeugen, wurde bereits in vielen Gerichtsverfahren (sogar im Parlament, betreffs etwaiger Änderun gen der gesetzlichen Bestimmungen) diskutiert, welche Beweiskraft man Zeugenaussagen bei Verkehrsunfällen überhaupt zumessen soll; insbesondere deshalb, weil nunmehr jeder ein Smartphone bei sich trägt und die Unfalldynamik somit ohne Probleme foto grafisch festgehalten werden kann Dieser Auffassung der tendenziell immer wichtigeren Beweiskraft solcher Aufnahmen ist auch das jüngste diesbezügliche Urteil des Kassationsgerichtshofs, welches einleitend erwähnt wurde. In diesem scheinen die Richter fotografischen Beweisen eine kla re Präferenz anheimfallen zu lassen und gleichzeitig vorliegende Zeugenaussagen beweisrechtlich zu depotenzieren. Das Urteil greift nämlich folgendes Zitat des vorangegangenen, angefochte nen Urteils (Nr. 1939/2020, LG Benevento) auf und lässt es ohne gegenteilige Kritik stehen: „Aufgrund der aktuellen Technologie, die in jedem Moment zur Ver fügung steht, ist die Zeit der Schadenersatzverfahren in Bezug auf Verkehrsunfälle, die nur aufgrund von Zeugenaussagen und ohne Fotos geführt werden, vorbei.“

Wenngleich solche Urteilspassagen cum grano salis zu interpre tieren sind und nicht davon auszugehen ist, dass Zeugenaussa gen bei Verkehrsunfällen nun keine Bedeutung mehr zufällt, kann dennoch ein grundsätzlicher Trend hin zur Bedeutsamkeit foto grafischer Beweise zuungunsten der Aussagen von Zeugen ausge macht werden. //

Im April dieses Jahres hat die Landesregierung die Bestim mungen zur Gemeindeimmobiliensteuer GIS abgeändert. Ab 1. Januar 2023 soll die GIS auf leerstehende Wohnungen und auf Zweitwohnungen, sowie auf nicht genutzte Baugründe er höht werden.

Als zur Verfügung stehend gelten all jene Wohnungen, für welche das Gesetz bzw. die Gemeinden keinen begünstigten Steuersatz vorgesehen haben, mit Ausnahme jener Wohnungen, für welche die Gemeinden in ihrer Verordnung den Regelsatz vorsehen.

NICHT als zur Verfügung stehend gelten beispielsweise folgende Wohnungen:

• Wohnungen, welche aufgrund eines registrierten Mietvertrages ausschließlich zu Wohnzwecken vermietet sind;

• Zweitwohnungen, welche zu Arbeits- oder Studiengründen be nutzt werden;

• Wohnungen, welche in Kostenloser Nutzugsleihe an Verwand te weitergegeben werden;

• Eine einzige Wohnung, welche an die Hauptwohnung angrenzt und von den Eigentümern der Hauptwohnung mitbenutzt wird;

• unbewohnbare oder unbenutzbare Wohnungen, die tatsächlich nicht benutzt werden;

• Wohnungen im Eigentum von Unternehmen, in welchen der Unternehmer selbst den Hauptwohnsitz hat;

• Wohnungen im Eigentum von Arbeitgebern, welche den Mit arbeitern als Lohnelement zur Verfügung gestellt werden. Zweitwohnungen, welche vom Eigentümer selbst benutzt werden, gelten jedoch als zur Verfügung stehend. Die Definition von zur Verfügung stehenden Wohnungen kann von Gemeinde zu Gemein de abweichen.

Für die zur Verfügung stehenden Wohnungen in Gemeinden mit Wohnungsnot gilt ab 1. Januar 2023 automatisch der erhöhte GISSatz von 2,5%, wobei dieser von den Gemeinden bis auf ein Maxi mum von 3,5% erhöht werden kann. Im Vergleich zum bisherigen Höchstsatz von 1,56% handelt es sich um beachtliche Erhöhungen. Im Gegenzug zu diesen Erhöhungen wird in Gemeinden mit Woh nungsnot der ordentliche Steuersatz für vermietete Wohnungen um mindestens 0,1 Prozentpunkte gesenkt.

Dieselbe GIS-Erhöhung von 2,5% bzw. 3,5% gilt auch für Baugrün de, mit Ausnahme jener Baugründe, welche einen Marktwert von 100.000 Euro (dieser Wert kann von den Gemeinden bis auf 700.000 Euro erhöht werden) nicht überschreiten. Der erhöhte Steuersatz bei Baugründen gilt jedoch erst ab dem 36. Monat, in welchem die Fläche zum Baugrund geworden ist, bzw. ab dem 1. Januar 2026. In Gemeinden ohne Wohnungsnot muss der Steuersatz für vermie tete Wohnungen um mindestens 0,2 Prozentpunkte unter dem or dentlichen Steuersatz liegen. Alternativ dazu können diese Gemein den den Steuersatz für zur Verfügung stehende Wohnungen um mindestens 0,2 Prozentpunkte höher festlegen als für vermietete Wohnungen. Genannte Gemeinden haben auch die Möglichkeit, die Bestimmungen für Gemeinden mit Wohnungsnot anzuwenden, oh ne Änderungen anzubringen.

WIRTSCHAFT & UMWELT 35 PZ 24 | 8. DEZEMBER 2022
//
€Dr. Michael Frenes Steuerberater Baumgartner.Partner GmbH Wirtschaftsprüfung und Steuerberatung Bruneck §RA Dr. Johannes Senoner Pircher Schramm Tschurtschenthaler Mall Ellecosta Anwaltskanzlei www.schramm.it

Einfach der Rudy

Wer kennt ihn nicht den bekannten Star-Figaro in Bruneck? Die Rede geht vom unverwüstlichen Rudy Huber, dessen Salon Rudy in Bruneck heuer das 50jährige Jubiläum feierte. Rudy ist ein Faktotum. Er hat an der Anam-Schule in Bo zen sein Handwerk gelernt und in der Fol ge laufend verfeinert. Er liebt und zelebriert gewissermaßen seinen Beruf. Im Laufe der Jahrzehnte nahm er auch an diversen Wett bewerben teil und gewann im Jahr 1993 so gar den italienischen Pokal der Star-Figaros. Bei Rudy kommen alle unter die Schere: Da men, Herren und Kinder. Die Frisuren sol

len dabei die Gesichts- und Körpermerkmale hervorheben und den modischen Stilgedan ken unterstreichen. All dies wird ermöglicht dank der Expertise eines jungen Teams, das einfach mit der Zeit geht. Der Salon hat sich u. a. auch auf Haarpflegebehandlungen spe zialisiert, wobei nur die besten Produkte zum Einsatz kommen. Das gilt auch für das Frisieren, das Haarschneiden bis hin zum Färben mit Bio-Produkten. Ganz im Sinne von Rudys Credo: Die Schön heit eines Menschen hängt auch vom Haar und seiner Frisur ab. Na dann, alles Gute und weiter so!

HOHE AUSZEICHNUNG

Markus Patzleiner hat es wieder geschafft. Sein schmackhafter Bio-Blütenhonig und sein Bio-Alpenhonig wurden beim größten österreichischen Honigwettbewerb „Die goldene Hnoigwabe“ jeweils mit der Gold medaille – der höchsten Auszeichnung - bedacht. Sein Bio-Akazienhonig wurde hingegen mit der Bronzemedaille ausge zeichnet.

Insgesamt wurden 1.284 Honigproben von 644 Imkerinnen und Imker nach strengen Labor-Richtlinien überprüft. Untersucht wurden nach einem standardisierten Ver fahren vor allem die Qualitätsparameter wie Wassergehalt, elektrische Leitfähig keit, Invertaseaktivität bzw. HMF-Wert und der PH-Wert. Einem kritischen Blick unter zogen wird u. a. auch der Gesamteindruck des Honigs. Der Hobbyimker aus Bruneck

wusste jedenfalls zu überzeugen.

// Reinhard Weger

Markus Patzleiner, der bereits vor der Corona-Krise für sei ne guten Honigpro dukte ausgezeichnet wurde (die PZ hat darüber berichtet), freut sich natürlich sehr über die errun genen Auszeichnun gen, die als schöne Wertschätzung der umfassenden ImkerArbeit angesehen werden können. Immer hin betreut der sympathische Unternehmer derzeit rund 50 Bienenvölker, die er mit viel Fleiß, Sorgfalt und Umsicht betreut. Er stellt im Laufe des Jahres die Bienen

stöcke laufend um. Im Frühjahr stehen sie in Prags, werden dann nach Kurtatsch ge bracht, schließlich im Eisacktal aufgestellt, dann wieder zurück nach Prags und dann zur letzten Etappe nach Matrei in Osttirol gebracht. Herzliche Gratulation! // rewe

WIRTSCHAFT & UMWELT 36 PZ 24 | 8. DEZEMBER 2022
50 JAHRE SALON RUDY
Rudi Huber aus Bruneck lud zum Jubiläum. MARKUS PATZLEINER Markus Patzleiner (im Bild) mit den drei hohen Auszeichnungen für seinen tollen und wunderbar schmeckenden Honig. rewe
50
PAKET A 1/4 Seite Inserat in der PZ + 1/4 Seite PR-Info
Werbespots auf Radio Holiday (30 Sek. - Spotproduktion inklusive) Gesamtpreis: 990,00- € + MwSt
100
inklusive)
€ + MwSt Die PZ-Ausgaben mit allen Sonderthemen können auch online gelesen werden auf www.pz-media.it UNSERE ANGEBOTE IM MEDIENMIX (PZ & Radio Holiday) PZ-FORMATE FORMAT 1 FORMAT 2 FORMAT 3 90 x 128 mm 185 x 128 mm 210 x 297 mm 185 x 60 mm A B C D E 90 x 264 mm PR PR PR PR PR € 890,00 € 490,00 € 1.594,00 DIE GUTEN TIPPS ZUM ENERGIESPAREN PZ-SONDERTHEMA ABGABETERMIN UNTERLAGEN ERSCHEINT AM REDAKTIONSSCHLUSS 2.1.2023 12.1.2023 26.12.2022 Reservieren Sie jetzt Ihre Anzeige in der meistgelesenen Zeitung im Pustertal! Pustertaler Medien GmbH 39031 Bruneck, Oberragen 18 Michaela Huber - Sekretariat T. 0474 550830 | info@pz-media.it Ihre Ansprechpartner: HANS PAULMICHL Bruneck Tauferer Ahrntal Bozen 340 2498606 hans.paulmichl@pz-media.it JOSEF TASSER Unteres & oberes Pustertal, Gadertal - Eisacktal - Wipptal Nordtirol - Osttirol 329 4877051 josef.tasser@pz-media.it Ihre personenbezogenen Daten werden gemäß dem G.v.D. Nr. 196/2003, der EU-Verordnung 679/2016 (DSGVO) sowie dem G.v.D. Nr. 101/2018 verarbeitet. Die vollständige Aufklärung über die Verarbeitung Ihrer personenbezogener Daten und Ihre Rechte, wie z.B. das Recht auf Löschung, sind auf unserer Website veröffentlicht: www.pz-media.it/datenschutz.html. Falls Sie dieses Informationsschreiben nicht mehr erhalten möchten, schreiben Sie uns dies einfach an folgende E-Mail Adresse: info@pz-media.it oder rufen Sie an: 0474 550830 Die PZ-Ausgaben mit allen Sonderthemen können auch online gelesen werden auf www.pz-media.it
PAKET B 1/2 Seite Inserat in der PZ + 1/2 Seite PR-Info
Werbespots auf Radio Holiday (30 Sek. - Spotproduktion
Gesamtpreis: 1.757,00-

Handwerk und Gastronomie Hand in Hand

Die Arbeitsgruppe „Berufsorientie rung“ lud am siebten November 2022 zwei Vertreterinnen des Lan desverbandes der Handwerker- und Gast wirtejugend nach Bruneck ein, um den Abgängerinnen und Abgängern der Mit telschule Karl Meusburger die Vielzahl der verschiedenen Berufs- und Ausbildungs möglichkeiten im handwerklichen und gas tronomischen Bereich näherzubringen. In einem interessanten und informativen Vor trag wurden den Schülerinnen und Schüler verschiedenste Berufsfelder vorgestellt, über Aus- und Weiterbildungen informiert, Anfor derungen und Fähigkeiten beschrieben und nicht zuletzt Zukunftsaussichten der jeweili gen Berufe aufgezeigt. Bilder und authenti schen Berichte von Menschen, die in ihrem Arbeitsalltag gezeigt wurden, verliehen dem Ganzen noch zusätzlich Kraft und Einblick. Um sich tatsächlich selbst ein Bild von den Berufen zu machen, stießen die im An schluss organisierten Betriebsbesichtigun gen bei den Jugendlichen auf reges Interesse. Insgesamt sieben Unternehmen aus Bruneck öffneten für die etwa 80 interessierten Dritt klässler ihre Tore. Darunter die Firmen El po, Mader, Gruber Tür Manufaktur, Patisse rie und Konditorei Acherer, Mokka Beauty und Style/Schönheitssalon sowie Restau rant/Bar Cosmo. Sehr aufgeschlossen emp fingen die beteiligten Betriebe die Schüler gruppen und gaben ihnen Einblick in die verschiedensten Abläufe und Prozesse des Unternehmens.

TIEFE BERUFLICHE EINBLICKE

Bei der Elpo durften die Schülerinnen und Schüler Schaltbahnen verkabeln, im Cosmo unter anderem Cocktails mixen und in der

Über die Schultern geschaut...

Küche Brotlaibe herstellen. Fasziniert hörte die Gruppe von acht Mädchen dann Kondi tormeister Andreas Acherer zu, der Beein druckendes aus seiner Arbeit als Patissier, aber auch aus seinem Leben erzählte. Das Verkosten von verschiedenen Schokolade sorten blieb natürlich nicht aus. Bei der TürManufaktur Gruber wurde auf jede gestellte Frage der Schülerinnen und Schüler aus

führlich eingegangen. Engagiert wurden die Gruppe durch den Be trieb und die Produktionshallen des Familienbetriebes geführt. Insgesamt war es ein gelunge ner Tag und die Veranstaltungen konnten den Jugendlichen wei tere Orientierungshilfen für den eigenen beruflichen Werdegang aufzeigen.

Ein Dankeschön gilt allen betei ligten Betrieben und ihren Mit arbeitern, die die Schülerinnen und Schüler durch ihren beson deren Einsatz und ihre Freude am Beruf be geistert haben. Auch wenn die Betriebsbe sichtigungen für die Verantwortlichen stets mit Aufwand und Vorbereitung verbunden sind, kann nur der praxisnahe Einblick in die unterschiedlichen und vielfältigen Be rufsfelder des Handwerks und der Gastro nomie das Interesse des potenziellen Nach wuchses wecken und fördern. // Ursula Gremes

WIRTSCHAFT & UMWELT 38 PZ 24 | 8. DEZEMBER 2022
MEUSBURGER
MITTELSCHULE
Im Rahmen der Berufsorientierung durften die Schülerinnen und Schüler bei diversen Betrieben sein. Die Schülerinnen und Schüler durften auch selbst Hand anlegen. Es konnten viele unterschiedliche Betriebszweige betrachtet werden.

SICHERE DIR JETZT DEIN PLUS

Persönliche Vorteile sichern und gleichzeitig andere unterstützen? Der Startschuss der Mitgliederaktion des Weißen Kreuzes ist gefal len, jetzt heißt es Mitglied werden. Sichere dir Rundumschutz in al len Lebenslagen.

„Setze dein Plus, ein Zeichen für alle“: Für manche mag dieses Mot to im ersten Moment vielleicht wenig Sinn ergeben, hier die Erklä rung: Wir leben in einer Welt, in der jeder von „Plus“ redet. Aber

hast du dich je gefragt, welche die wichtigen Plus für dich sind? Das wichtige Plus ist jenes, in dem es um deine Sicherheit und deinen Schutz geht.

Auch heuer kannst du die für dich passende Mitgliedschaft auswäh len und dir damit dein ganz persönliches Plus sichern. Wähle zwi schen drei Mitgliedschaften Südtirol, Weltweit und Weltweit Plus die für dich passende aus. Schnell, unkompliziert und weltweit gültig. Gleichzeitig unterstützt du mit deiner Jahresmitgliedschaft auch die mehr als 3.800 Freiwilligen des Rettungsvereins. Weitere Informationen und Details zu deiner Mitgliedschaft findest du entweder auf www.werde-mitglied.it oder in unserem Mitglieder büro unter Tel. 0471 444 310. // PR-Info

DAS PUSTERTAL NOCH BESSER VERNETZEN

Das internationale Unter nehmernetzwerk „Busi ness Network Interna tional“ (BNI) ist auch im Pustertal aktiv. Jeden Mittwochmorgen laden die 15 Mitglieder der Sek tion Bruneck zum Gedankenaustausch.

Nach einem informellen Frühstück steht jede Woche ein Unternehmer im Zent rum und kann zehn Minu ten lang seine Geschäfts idee vorstellen. In kurzen Info-Runden präsentie ren Mitglieder und Gäste anschließend ihre Tätig keit oder Erfahrungen. Der Querschnitt ist bunt, quer durch die Branchen. Die gewünschte Folge sind gegenseitige Emp fehlungen, ein „Aufmerksam-Machen“ auf Geschäftsmöglichkei ten oder Kundenwünsche oder auf neue, interessante Entwicklun gen am Markt.

Was nicht im Zentrum steht, sind schnelle Umsätze. „Ein BNI-Treffen ist keine Verkaufsveranstaltung,“ so ein Mitglied. „Es geht um Kon

takte und Empfehlungen, die zu langfristigen Geschäftsbeziehun gen führen. Und die Regel „Nur ein Mitglied pro Branche“ schließt Konkurrenzsituationen aus.“ Jederzeit können sich Interessierte für unverbindliche Besuchstermine beim wöchentlichen Treffen anmel den, an besten beim Besucherbetreuer (Name und Kontaktdaten übermitteln). Weitere Informationen gibt es im Internet. // mw

SCHAUFENSTER 39 PZ 24 | 8. DEZEMBER 2022
WEISSEN KREUZES
MITGLIEDERAKTION DES
UNTERNEHMERNETZWERK BNI Mitglied werden beim Weißen Kreuz lohnt sich gleich doppelt. Die Mitglieder des Chapters in Bruneck beim Treffen im Oktober 2022.

Verdiente Chormitglieder geehrt

Zeichen der Wertschätzung der Chö re und der Musikkapelle, Freude am Musizieren und Singen, lobenswerte Gestaltung der kirchlichen Feste, Frohsinn und Harmonie unter allen Musizierenden und vor allem Förderung der Gemeinschaft u.v.a. waren bei der gelungenen Zäzilienfeier deutlich erkennbar, die anlässlich des Festes der hl. Cäcilia, der Patronin Kirchenmusik,

in gemeinsamer Gestaltung und in Zusam menarbeit mit der Musikkapelle, dem Pfarr chor und dem Männerchor von Percha in der Kirche zum hl. Kassian begangen wurde. Be reits die Platzierung der Musikkapelle mit dem Chor im Presbyterium der Kirche war sichtbares Zeichen einer harmonischen Ver bundenheit zwischen den Klang- bzw. den Gesangkörpern, ein Zeichen, das natürlich in der gut abgestimmten gemeinsamen Ge staltung der ganzen Feier den Höhepunkt erreichte. Zelebriert wurde das feierliche Amt von hochw. Georg Untergassmair, Prä lat in R. vom Kloster Neustift, der in seiner Predigt zunächst den „Christkönigsonntag“ mit Christus als König in den Mittelpunkt stellte, dann aber auch auf das Fest der Pa tronin der Kirchenmusik der hl. Cäcilia ver wies, wobei er es nicht versäumte, den Mitgliedern der Musikapelle und der Chö re einen aufrichtigen und vom Herzen kom menden Dank für ihren lobenswerten Ein satz zu danken, den sie zur Ehre Gottes und

zur Erbauung der Menschen mit Freude und Begeisterung ständig ausüben.

DIE WELTLICHE FEIER

Anschließend an die würdige Feier in der Kir che, die mit kräftigem Applaus der Kirchen besucher abgeschlossen wurde, versammel ten sich alle Musik- und Chormitglieder zur „weltlichen Feier“ im Vereinshaus von Per cha. Schon der bis zum letzten Platz gefüll te Saal war wieder ein offenes Zeichen der Verbundenheit, der Kameradschaft, der Ge selligkeit und Freundschaft, was sich nicht nur für die Gemeinschaft der Musizierenden, sondern für die ganze Dorfgemeinschaft äu ßerst positiv auswirkt. In den anschließen den Begrüßungs- und Dankesansprachen, vorgebracht durch den Obmann der Musik kapelle Reinhold Zimmerhofer, der Obfrau des Pfarrchores Doris Castlunger und den Obmann des Männerchores Stefan Huber, wurde rückblickend auf die Arbeit während des ganzen Jahres immer wieder die Freude

40 VEREINE & VEREINSLEBEN PZ 24 | 8. DEZEMBER 2022
ZÄZILIENFEIER IN PERCHA
Wir suchen Mitarbeiter für Produktion u. Montage
Musikkapelle und Chöre beim feierlichen Gottesdienst mit Prälat i.R. Georg Untergassmair im Presby terium der Pfarrkirche von Percha. Walter Haidacher

zur Musik und zum Gesang, die Begeiste rung, die frohe Stimmung und die Harmo nie unter allen Mitwirkenden zum Ausdruck gebracht, wofür allen ein ganz besonderer Dank gebührt. Dank und Anerkennung für ihren Einsatz und ihren positiven Beitrag für die Pflege und den Erhalt des kirchli chen und weltlichen Liedergutes sowie für die Förderung des Gemeinschaftssinnes im Pfarr- und Dorfleben übermittelten auch die Kulturreferentin der Gemeinde Frau Katha rina Niederwolfsgruber, die sich im Namen des anwesenden Bürgermeisters und Vize bürgermeisters an die Mitglieder der Chöre und der Musikkapelle wandte sowie der Prä sident des Pfarrgemeinderates Herr Markus Seyr, der ebenfalls die wertvolle Leistung auf dem Gebiete des Liedes und der Musik und die Förderung einer harmonischen Ge meinschaft mit dankenden Worten zu wür digen vermochte.

Anschließend folgte die Ehrung von verdien ten Chormitgliedern, in welcher vor allem der große und unermüdliche Einsatz und die mit äußerster Genauigkeit und Sorgfalt ausgeführte Arbeit von Herrn Franz Mair ge würdigt wurde. Schon seit dem Jahr 1970, also volle 60 Jahre stärkt er hier in Percha mit seiner sicheren Bassstimme den Pfarr chor, den Männerchor und das Männerquar tett. Bei Solis und besonders beim „Magni

Jahren arbeitet Franz äußerst fleißig und in itiativ im Ausschuss des Pfarr- und Männer chores mit. Seit 40 Jahren ist er auch ver antwortungsvoller und sorgfältiger Kassier.

EIN ZEICHEN DES DANKES

Seine Verlässlichkeit und sein beispielge bender Einsatz werden von allen ganz be sonders geschätzt. Als Zeichen des Dankes für seinen mustergültigen Einsatz wurde ihm die Ehrenurkunde mit der geschmack vollen Marienmedaille überreicht. Diese Ma rienmedaille erhielt auch Herr Hubert Mair,

keit, davon 67 Jahre als Organist und Chorlei ter. Gut 40 Jahre als Sänger haben auch die Herren Oswald Salzburger und Walter Irsara aufzuweisen, wofür ihnen das Ehrenzeichen in Gold der beiden Verbände, des Chorver bandes für Südtirol und des Verbandes der Kirchenmusik, überreicht wurde. Mit einem äußerst schmackhaften Mittages sen aus der Küche von Andreas Steiner, Hüt tenwirt der Gönneralm, begleitet von den Klängen einer jungen Musikgruppe klang diese äußerst gelungene Zäzilienfeier aus, in der ganz deutlich die Freude am Musizie ren und Singen, die frohe Geselligkeit und die gemeinsame Verbundenheit ein offenes Zeichen waren. // jopa

41 VEREINE & VEREINSLEBEN PZ 24 | 8. DEZEMBER 2022
Bei der Ehrung verdienter Chormitglieder – von links: Stefan Huber (Obmann des Männercho res), Oswald Salzburger, Walter Irsara, Franz Mair, Hubert Mair und Doris Castlunger (Obfrau des Pfarrchores). jopa

Alter Brauch –neue Entwicklung

Kaum ein Brauch in unseren Breiten ist so vielfältig wie der Krampus- und Perch tenbrauch. Er ist überaus beliebt und gleichzeitig umstritten. Bräuche sind nie mals statisch, sondern wandeln sich stets mit den Bedürfnissen der Menschen die sie gebrauchen. Viele Bräuche sind durch Einflüsse aus Religion, Politik und Zeit geist entstanden. Glaube und Aberglaube der Menschen, Ängste, Nöte und Hoff nung haben Bräuche seit Jahrhunderten verändert, gedeutet und geformt.

Der Krampusbrauch geht in seiner Entste hung bis ins Mittelalter zurück und entstand, so wie viele andere Bräuche, aus den religiö sen Predigttheatern. Diese wurden zur da maligen Zeit öffentlich aufgeführt, um dem Volk die Lehre der Kirche näher zu bringen. Der Krampusbrauch ist im Zusammenhang mit dem Nikolausspiel entstanden. Zuerst von der Kirche toleriert, wurden dieser und andere Bräuche im 17. Jahrhundert verboten, weil sie eine Gefahr für die Obrigkeiten dar stellten. Da es sich nämlich die Brauchtums gruppen nicht verbieten ließen, den Verant wortlichen für Ungerechtigkeiten die ¨Rute ins Fenster zu stellen¨, fürchteten der Klerus und die weltlichen Machthaber Aufstände vonseiten der Bevölkerung. Ab dem 19. Jahr hundert erfuhr der Krampusbrauch schließ lich eine Wiedergeburt und durchlebt seit dem einen kontinuierlichen Wandel. Im klassischen Sinn ist der Krampus nicht der

Feind des Menschen. Seine Aufgabe ist es, den Menschen unter der Obhut des Nikolaus einen Schrecken einzujagen, um sie somit an zuhalten, stets den guten Weg zu suchen. Das macht ihn zu einem Wesen, das Böses tut, Gu tes aber dadurch möglich macht.

VIELE KRAMPUSGRUPPEN

Die Krampusgruppen des Alpenraums treten als Teufelsgestalten in ihrem jeweils unver wechselbaren Erscheinungsbild zwischen dem 1. November und dem 23. Dezember

auf. Während sie früher streng an den Ni kolaus gebunden waren, tretet der moder ne Krampus-2.0 heute bei Schauläufen auch alleine auf und stellt nicht nur den Brauch, sondern jedes Gruppenindividuum gekonnt in den Mittelpunkt. Die zahlreichen Kram pusvereine passen ihre Performance und Ausstattung, durch den Einsatz von Pyro technik, aufwendigen Wägen, einstudier ten Showacts, wertvollen Masken und Kos tümen begleitet von eindrucksvoller Musik, immer der jeweiligen Zeit an. Als Brauchtum für alle Sinne werden die Krampusläufe so mit zum Entertainment der Spitzenklasse und verlieren dadurch nie an Attraktivität.

DIE OACHNA KRAMPUSSE

Die Entstehungsgeschichte der ¨Oachna Krampusse¨ geht auf das Jahr 2007 zurück. Damals hat sich eine Gruppe von ¨Oach nern¨ kurzerhand entschlossen, den ¨Club der verlorenen Seelen¨, kurz CDVS, zu grün den, um die alte Tradition des Krampustrei bens in ihrem Ort wieder ins Leben zu rufen. Im kleinen Rahmen ging man fleißig an je dem 6. Dezember mit dem Nikolaus von Haus zu Haus, um die vom richtigen Weg abge kommenen Menschen an das Gute im Leben zu erinnern. Mit immer mehr Enthusiasmus beschäftigten sich die Mitglieder der einstig noch losen Gruppe mit dem Krampusbrauch und somit kam es im Jahr 2011 zur Gründung

42 VEREINE & VEREINSLEBEN PZ 24 | 8. DEZEMBER 2022
KRAMPUSUMZUG
OACHNA Fotos: Oachna Krampusse

des heutigen Volontariatsvereins mit dem neuen Namen ¨Oachna Krampusse¨. Durch das neue Erscheinungsbild und den deutlichen Zuwachs an Mitgliedern kann sich der Verein heute stolz präsentieren. Zu den Tätigkeiten zählen nach wie vor die Hausbesuche am Nikolaustag, und die rege Teilnahme an den verschiedensten Kram pusläufen im In- und Ausland. Zur Herzens angelegenheit der Oachna Krampusse zählt die Organisation des alle zwei Jahre stattfin denden Krampuslauf in Natz.

DER SCHAULAUFUNBERÜHRT SICHER

Bei einem Schaulauf mit 40 Gruppen und über 800 Krampussen ist die Sicherheit der Zuschauer oberstes Prinzip. Unsere Gäste sollen sich während des gesamten Unter haltungsprogramm sicher fühlen. Aus die sem Grund unterliegen alle Laufteilneh

mer einem strengen Reglement. Das Verbot von Fetten und Farben, sowie eine After showparty ohne Felle und Masken sollen für einen sorglosen und unbeschwerten Ablauf des Abends sorgen. Zudem schützt

15.00 Uhr

Radio-Holiday-Disco am Kirchplatz

Verlosung

3337797710

DAS PROGRAMM AM 10. DEZEMBER 2022 IN NATZ-SCHABS Unsere Dienstleistungen:

befasst sich mit Personenbegleitung, Objektschutz und gewähr leistet die sichere und professionelle Durchführung von Veranstaltungen.

Stewarding bei sportliche Veranstaltungen

Sicherheitsdienst bei Bälle

Sicherheitsdienst auf Feste

Sicherheitsdienst auf Feste

Sicherheitsdienst bei Partys

43 VEREINE & VEREINSLEBEN PZ 24 | 8. DEZEMBER 2022
Eröffnung der Aufschankstände beim Vereinshaus mit DJ Matthew
STS-SECURITY SÜDTIROLER SICHERHEITSDIENST - ITALIEN STS-Security
Unsere Dienstleistungen: •
STS-SECURITY SÜDTIROLER SICHERHEITSDIENST - ITALIEN STS-Security
Mobil: +39
eine durchgängige Abzäunung über die gesamte Strecke die Zu schauer vor den wilden Krampus sen. Somit können sich nicht nur die ängstlichsten, sondern auch die kleinsten unserer Gäste einen guten Platz sichern. Der Ortskern bietet sich als Stehplatz besonders gut an. Dort werden die teilneh menden Gruppen mit individuel len Show-Einlagen und durch die musikalische Unterstützung von ¨Radio Holiday¨ für extra Stim mung sorgen. Auch beim Vereins haus bekommt man einiges gebo ten; nach dem Lauf findet dort eine große Pyroshow statt. Ent lang der gesamten Strecke versor gen mehrere Stände unsere Gäste mit war men Getränken. Nach dem Schaulauf geht es im Vereinshaus mit der Krampusparty und DJ DoubleDee erst richtig los. Möge das teuf lische Treiben beginnen... // toifl Ihr zuverlässiger PartnerDamit Sie sicher sind!
16.00 Uhr Eröffnung der Aufschankstände entlang
der Strecke 17.00 – 21.00 Uhr
17.30 Uhr
der Lotteriepreise am Kirchplatz 18.00 Uhr Beginn 5. Krampuslauf der Oachna Krampusse Ca. 20.00Uhr Großes Feuerwerk beim Vereinshaus Natz (nach dem Eintreffen der letzten Krampusgruppe beim Vereinshaus) 20.00 Uhr Krampusparty im Vereinshaus mit DJ DoubleDee (ohne Felle und Masken!) //
Stewarding bei sportliche Veranstaltungen
Sicherheitsdienst bei Bälle
Sicherheitsdienst bei Partys
befasst sich mit Personenbegleitung, Objektschutz und gewährleistet die sichere und professionelle Durchführung von Veranstaltungen.
info@sts-security.it
www.sts-security.it

Weihnachtsgeschenke für Abenteurer

Erlebnisgeschenke sind die perfekten Geschenke für Menschen, die das Abenteuer lieben. Sie bereichern mit einer Erinnerung auf Lebenszeit. Für manche Familienmitglieder können Hub schrauberrundflüge über die heimische Region eine unvergessliche Erfahrung sein. Beim Flug im Helikopter genießt man gemeinsam den Anblick der Landschaft aus der Vogelperspektive. Eine Ballonfahrt eignet sich als Geschenk für einen romantischen Moment zu zweit. Personen, die größere Höhen lieben, freuen sich womöglich über einen Tandemsprung aus vom einen Gipfel. Zusammen mit einem erfahrenen Tandem-Master wird der Sprung genossen.

Mit einem Gutschein für das sogenannte Bodyflying ließe sich der Schwerkraft entkommen. In einem vertikalen Windkanal kann der Beschenkte dank des starken Luftstroms gut gesichert über dem Boden schweben. Jüngeren Menschen dürfte der „Escape Room“ ein Begriff sein. Dank eines vorgefertigten Spielkonzepts versucht man gemeinsam mit einer kleinen Gruppe durch das Lösen von Rät seln und mit dem richtigen Gespür aus einem Raum zu entkom men, der mitunter viel Spannung und gruselige Momente bereit hält.

Loacker Café

44 PZ 24 | 8. DEZEMBER 2022
All das Gute liegt so nah Tuttà la bontà così vicino
online loacker.it
ADVENTS ZAUBER
SONDERTHEMA
//

Die Einzigartigkeit des Welterbes

EIN LETZTES MAL ERLEBEN VOR DER SCHLIESSUNG

Während Landesbeamte schon aus den Magazinräumen von Dolomythos in Innichen alle in mühevoller Arbeit gesammelten Kostbarkeiten leer räumen, können alle Besucher bis zum 8. Januar 2023 noch einmal die wundervolle Ent stehungsgeschichte hautnah nachvollziehen. Sie erleben den Auf stieg der Dinosaurier und der Pflanzenwelt, den Werdegang eines Welterbes in einem Museum wie sonst nirgendwo sonst. „Während die anderen die Natur zerstören, stellen wir kleine Puzzle teile zur Schau, welche die Menschen zur Besinnung über die Groß artigkeit der Erde anregen sollen,“ so ein Leitbild von Dolomythos. Und ein anderes: „Kommt alle zu uns und feiert bei hausgemach tem Punsch und traditionellen Gerichten dieses Weihnachtsfest. Besinnt Euch alle, wie winzig der Mensch vor der Natur dasteht. Und wie wichtig eine Ehrfurcht vor den großen Veränderungen im

Laufe der Jahrmillionen angebracht ist“. Schlendern Sie durch die mit Kunsthandwerk dekorierten Gänge, vorbei an den Höhlenbä ren, bis zu den einst alles dominierenden Sauriern und dem Anbe ginn allen Lebens!

In diesem eindrucksvollsten Weihnachtsmarkt der Alpen frieren Sie nicht. Wer ein erlesenes Weihnachtsgeschenk sucht, ist hier genau so richtig, wie der Naturliebhaber der sich über das Welterbe infor mieren kann. So lange es Dolomythos noch gibt. Und dies alles bei freiem Eintritt!

// PR-Info

45 PZ 24 | 8. DEZEMBER 2022 ADVENTS ZAUBER GEÖFFNET JEDEN TAG VOM 18. NOVEMBER 2022 BIS ZUM 8. JÄNNER 2023 VON 8.00-19.00 UHR FUSSGÄNGERZONE INNICHEN www.dolomythos.com DER GRÖSSTE UNTERIRDISCHE WEIHNACHTSMARKT DER ALPEN IM DOLOMYTHOS

Das Weihnachtsdorf

„Er ist mittlerweile berühmt“, so lautet der Leitspruch der heurigen „Dolomiten-Weihnacht“ in Inni chen. Wohl nirgendwo sonst findet sich solch eine besondere Atmosphäre, wie in dieser kleinen und trotzdem kulturell so reichhaltigen „Cittadina“ in der Dolomitenregion 3 Zinnen. Nirgendwo sonst gibt es einen Christkindlmarkt mit solch starken Wintergefühlen. Und das bis zum 7. Jänner 2023.

Die „Dolomiten-Weihnacht“ ist ein echter Publikums magnet. Nicht nur weil er in einem der schönsten Dörfer der Alpen im historischen Zentrum stattfindet. Rund um den romanischen Dom und der Michaelskirche so wie in der Fußgängerzone finden sich eine Fülle von Holzhütten in denen Kunst handwerk aus der Umge bung und typische Spezia litäten angeboten werden. Krippen und Kerzen, Weih nachtsschmuck, Filzpro dukte und nette Tiroler Ge schenkideen finden sich genauso wie heiße Punsch spezialiäten, Glühwein und Weihnachtslebkuchen. Schon lange vorher suchen die Einheimischen in den Wäldern Tan nen und Fichten oder besonders aussagekräftige Wurzeln, um damit das Zentrum von Innichen zu verschönern. Andere Bäume werden in Töpfe gesetzt, um ihr Wachsen im Laufe der Jahre zu beobachten. Damit die Besucher inmitten verschneiter Holzkrippen einen Hauch gelebter Naturweihnacht erleben können. Und noch etwas gibt es in Innichen und sonst nirgendwo in den Alpen: Die „unterirdische Dolomythos-Weihnacht“. Im größten Do

lomitenmuseum wird zur Weihnachtszeit alles anders. Und das alles bei freiem Eintritt. In diesem besonderen Weih nachtsmarkt friert nie mand. Und für die Kin der gibt es noch eine Schatzsuche, wo die kleinen Abenteurer sogar echtes Gold fin den können.

Die Innichner Dolo miten-Weihnacht ist reichhaltig. Man fin det Drehorgelspieler oder Weihnachtslie der singende Musi kanten. Und noch etwas: Besuchen sie Innichen mit dem Zug. Er verbindet im Halbstundentakt das Pus tertal. Oder wandern Sie von Innichen zum alten Wildbad. Oder zu den vielen Berghütten der Umgebung, welche alle zur Weihnachts zeit mit besonderen Spezialitäten aufwarten! Erkunden Sie mit einer Rodel oder den Skiern das tief verschneite Dolomiten-Welterbe der Menschheit!

Nur bei der „Dolomiten-Weihnacht“ in Innichen gibt es Advent wie in alten Zeiten.

46 PZ 24 | 8. DEZEMBER 2022 ADVENTS ZAUBER
DIE DOLOMITEN-WEIHNACHT VON INNICHEN
// PR-Info
beide Fotos: Wisthaler

Vier Geschenkideen für Weihnachten

Im großen Online-Shop der Therme Meran finden sich passende Weihnachtsgeschenke für Freunde, Familie oder Mitarbeiter - mit vielen Optionen für jedes Budget. Neu ist der B2B–Button auf der Website für Unternehmen, um schnell und bequem Geschenke zu kaufen.

1. EINTRITT FÜR POOLS & SAUNAS

Der Klassiker mit vielen Möglichkeiten: Vom günstigen Ticket für 2 Stunden ab 17 € bis zum Ganztages-Ticket, entwe der nur für die Pools oder für Pools und Saunas. Im Online-Shop gibt es alle Ti cket-Varianten bequem auf einen Blick.

2. TREATMENTS & PAKETE IN DER MYSPA

Ein Geschenk mit Wohlfühl-Garantie: Ob eine Massage, eine Ge sichtspflege oder ein Paarpaket, mit einem MySpa-Gutschein wird wertvolle Quality Time verschenkt. Im Online-Shop kann die Option „als Geschenk“ ausgewählt und eine persönliche Widmung hinzuge fügt werden. Auch möglich, für alle die lieber ein „Packtl“ verschen ken: die zahlreichen Produkte der Therme Meran Kosmetiklinie.

3. FLEXIBLE GUTSCHEINE & WERTKARTEN

Für alle, die sich bei der großen Auswahl im Online-Shop nicht ent scheiden können. Mit einem flexiblen Gutschein hat der Beschenk te die freie Wahl, sein Geschenk in den verschiedenen Bereichen der Therme einzulösen, egal ob in Pools & Saunas, in der MySpa, im Fitness Center oder im Shop.

4. NEUES ONLINE-SHOPPING FÜR UNTERNEHMEN

Auf der Suche nach einem passenden Weihnachtsgeschenk für Mit arbeiter, Kunden und Geschäftspartner? Dann könnte der neu ein gerichtete B2B-Bereich im Online-Shop der Therme Meran eine er frischende Alternative zu den üblichen Geschenken bieten. Der Win-win-Effekt dabei: originelle Geschenke für Mitarbeiter und Kunden zu Spezial Preisen für das Unternehmen. Auf der Website der Therme Meran gibt es ab sofort einen Button, über den sich Unter nehmen registrieren und von den Vorteilen profitieren können. Auch möglich: ein „Packtl“ verschenken, mit einem der zahlreichen Pro dukte der Therme Meran. // PR-Info

Alle Gutscheine und Wertkarten sind 12 Monate gültig.

Die ganze Therme in deiner Hand

UNSER GUTSCHEIN

MÖGLICH! Therme, Sauna, die schöne MySpa-Behandlung, ein relaxter Tag in einer der Pool Suites, ein cooler Fitness-Kurs oder vielleicht lieber die Naturkosmetik im Thermen-Shop?

1 Gutschein, alles drin. Da freut sich doch echt jeder! Einfach online bestellen oder direkt vor Ort abholen. www.therme meran it

Und auch der Thermenplatz hat sich wieder in Schale geworfen … Kommt vorbei, es weihnachtet!

47 PZ 24 | 8. DEZEMBER 2022 ADVENTS ZAUBER
MACHT’S
SUPER auch als Geschenk für deine Mitarbeiter!
THERME MERAN
thermemeran.it/b2b

iPhone 14

5G – WiFi – NFC –

GPS; Hauptkamera 12MP + 12MP; Frontkamera: 12MP; Display: 6,1“ Super Retina XDR cheramic shield; Interner Speicher: 128GB / 256GB / 512GB; Unfallerkennung; IP68;

Samsung A13

4G – WiFI – NFC –

GPS; Hauptkamera: 50MP + 5MP + 2MP + 2MP; Frontkamera: 8MP; Display: 6,8“ FHD+ TFT; Interner Speicher: 32GB / 64GB / 128GB + RAM: 4GB; 5000mAh

iPad

(9. Gen.)

WiFi – Bluetooth; Hauptkamera: 12MP; Display: Retina 10,2“; Interner Speicher: 256 GB

Samsung S22

5G – WiFi – NFC –A-GPS; Hauptkamera: 50MP + 12MP + 10MP; Frontkamera: 10MP; Display: 6,2“ Dynamic Amoled; Interner Speicher: 128GB / 256GB + RAM: 8GB; IP67;

XIAOMI 12

5G - Wi-Fi - NFCA-GPS; Hauptkamera: 50MP + 13MP + 5MP; Frontkamera: 32MP; Display: 6,28“ AMOLED; Interner Speicher: 256GB + RAM: 8GB

Samsung Galaxy A53

5G - WiFi – NFC –

GPS; Hauptkamera: 64MP + 12MP + 5MP + 5MP; Frontkamera: 32MP; Display: 6,5“ Amoled FHD+120Hz; Interner Speicher: 128GB + RAM: 6GB; 5000mAh; IP67;

Xiaomi Note 11 Pro

5G – WiFi – NFC –GPS; Hauptkamera: 108MP + 8MP + 2MP; Frontkamera: 16MP; Display: 6,6“ Amoled + 120Hz; Interner Speicher: 128GB + RAM: 6GB; 5000mAh + Aufladung 67W

iPad Air (4. Generation)

Hauptkamera: 12MP; Frontkamera: 7MP; Display: 10,9” Liquid Retina; Interner Speicher: 64GB

Samsung Tab A8

LTE - WiFi – GPS – Bluetooth 5.0; Hauptkamera: 8MP; Frontkamera: 5MP; Display: 10,5“ LCD; Interner Speicher: 64GB + RAM: 4GB; 7040mAh

Apple

Gigaset DA611

LCD-Display; Freisprechfunktion; 100 Telefonbucheinträge

Samsung Watch 5 GPS – Bluetooth 5.2 – NFC – WiFi; Display: Super AMOLED Always on Saphirglas (40/44mm); Interner Speicher: 16GB + RAM: 1.5GB; 410mAh; Schlafanalyse, Schrittzähler, verschiedene Sportarten; IP68

Gigaset AS490A

Schnurlostelefon; Freisprechfunktion; 100 Telefonbucheinträge; Anrufbeantworter

Anio 5 Kindersmartwatch

GPS – AGPS – PGS – WiFi; Display: 1,3“; Schulmodus, Chat, Telefonie, Sprachnachrichten, SOS , Schrittzähler

Samsung Galaxy A33

5G – WiFi – NFC –GPS; Hauptkamera: 48MP + 8MP + 5MP + 2MP; Frontkamera: 13MP; Display: 6,4“ FHD + 90Hz Super Amoled; Interner Speicher: 128GB + RAM: 6GB; 5000mAh; IP67;

Xiaomi Note 11S

4G – WiFi – NFC –

A-GPS; Hauptkamera: 108MP + 8MP 2MP + 2MP; Frontkamera: 16MP; Display: 6,43“ AMOLED; Interner Speicher: 128GB + RAM: 6GB; 5000mAh + Aufladung 33W

Alcatel 3T

LTE – WiFi – Bluetooth; Hauptkamera: 5MP; Frontkamera: 5MP; Display 10“; Interner Speicher: 32GB + RAM: 2

Huami Amazfit GTS 3

Bluetooth 5,1 – GPS; Display: 1,75“ AMOLED, gehärtetes Glas; 12 Tage Batteriedauer; 150 Sportarten; IP68

Pocket Book

Touch HD 3 WiFi – Bluetooth; HD-Display 6“; smart Light; Interner Speicher: 16 GB; Micro USB; slot memory card

TP-LINK 4G Router

4G – Modem; WiFi; 4 LAN Ports; WPS; Fixmodem mit Stromanschluss; SIM-Slot (jeder Anbieter)

Ihr Partner in der mobilen Welt shop.radiomair.com SMARTPHONES/WATCHES _ MULTIMEDIA _ INTERNET TABLETS _ E-ROLLER _ ZUBEHÖR 60 Jahre anni Radio Mair nimmt auch heuer wieder bei der Weihnachtslotterie „Adventshopping Bruneck“ teil!
Watch Se NFC – Bluetooth; Display: Retina 40/44mm); 18 Std. Akkulaufzeit; Höhenmesser; Zyklusprotokoll; Unfall/Sturzerkennung; IP68

Individuelle Beratung; Fachliche Kompetenz; Kundennähe und Freundlichkeit; Auswahl an Smartphones & Tablets; Lösungen für Unternehmen & Privatpersonen; Smartphone-Konfigurationen; Speed-Reparaturen; Ersteinstellungen; Datenübertragungen

Viron XI-700pro 700W; 36V – 7,8Ah; Reichweite: 30km; regulierbare Geschwindigkeit; Räder: 9,5“; Bremssystem: Trommelbremse + elektronische Bremse + Fußbremse; Licht: LED hinten + vorne; Diebstahlschutz: Bluetooth; Blinker; Gewicht: 14kg;

Tech for Kids (Party speaker)

Tech for Kids (Camera for kids)

Momodesign - Evo 9 400W; 36V + 7,5Ah; Reichweite: 25km; regulierbare Geschwindigkeit; Räder: 8,5“; Bremssystem: Scheibenbremse; Licht: LED hinten + vorne; Diebstahlschutz: NFC; Blinker; Gewicht: 15kg;

Tech for Kids (Headphones for kids)

Tech for Kids (Microphone with bluetooth speaker)

Radio Mair, Stadtgasse 70, BRUNECK - Zentrum • Tel. 0474 555 247 • www.radiomair.com >
Unsere Stärken:
Imperial Dabman 100
Hair
Explore Scientific weather station Philipps
Dryer 4000
Popsockets ANY DI MUNICH
Nedio Indoor & Outdoor weather station
AirPods Pro (2. Generation) Airpods (3. Generation) JBL Flip 6 Philipps Shaver 5000 Series Oral-B io 6 JBL Tune 510 BT E-Roller

Hei e Schokolade im Advent

Beim Spielnachmittag oder Backen der Plätzchen zu sammen mit den Kindern ist die heiße Schokolade ein belieb tes Getränk in der Weihnachtszeit, das kleine und große Fans von sü ßen Leckereien begeistert. An kal ten Winterabenden vor dem Kamin wird sie oft getrunken und schenkt ein genussreiches Wohlgefühl. In den Supermärkten gibt es eine gro ße Auswahl an Mischungen für die heiße Schokolade, die man auspro bieren kann. Vor allem, wenn die Zeit knapp oder man zu erschöpft vom Tag ist, bietet sich eine fertige Schokoladenmischung für das Heiß getränk an. Die Zubereitung geht schnell und einfach, da man das Pul ver lediglich in die erwärmte Milch rührt. Ansonsten bevorzugen nicht wenige, die heiße Schokolade selbst herzustellen. Die Verwendung von Backkakao soll aufgrund der darin enthaltenen Nährstoffe und Antioxi dantien der Gesundheit zuträglich

sein. Ferner kann zwischen fettreicher oder fettarmer Kuhmilch oder einer Pflanzenmilch gewählt werden. Zum Süßen des Getränkes eignet sich für gesundheitsbewusste Genießer Aga vendicksaft oder Kokosblütenzucker, die man unter anderem in ausgewähl ten Drogerien und Reformhäusern kaufen kann. Mehr Abwechslung in das Rezept bringen Zimt und die ge riebene Schale von einer unbehandel ten Orange. Kalorienreiche Zugaben zur heißen Schokolade sind Erdnuss butter sowie Karamell-, Vanille- oder Lebkuchen-Sirup. Bei Bedarf versü ßen kleine Marshmallows und Schlag sahne den Schokoladengenuss. Eine amerikanische Version der heißen Schokolade sieht als Beigabe zersto ßene Zuckerstangen oder Pfefferminz bonbons vor, die dem Getränk einen andersartigen Geschmack verleihen. Erwachsene dürfen sich auf Wunsch am Abend auf eine heiße Schokola de mit einem Schuss Pfefferminzlikör freuen. //

DOLOMITES.LIGHT.ZOO IN OLANG

Die Tierwelt des Naturparks

Die Landschaft liegt eingebettet in einem märchenhaften Weiß: tiefer Schnee lässt die schroffen Gipfel und Felsen der Dolomiten sanft und weich erscheinen, Wälder und Wiesen an deren Hängen und im Tal liegen unter einer tiefen Schneedecke.

Nach Einbruch der Dämmerung legt sich Stille über die Landschaft und die Sterne funkeln am Horizont. Weihnachtliche Lichter erhel len die Straßen, in den Holzobjekten der Ausstellung „holzART“ er scheinen funkelnde Sterne, leuchtende Engel und glühende Her zen in sanftem Schein und auch der Park von Mitterolang erstrahlt in einem ganz besonders stimmungsvollen Licht: Willkommen im Lichterzoo.

12 Corten-Stelen, realisiert von lokalen Handwerkern, in Form der Bergspitzen unserer Dolomiten lassen einen interaktiven Parcours entstehen und machen die Tierwelt des Naturparks Fanes-SennesPrags auf eine ganz besondere Weise erlebbar. Nehmt euch Zeit in diese Idylle einzutauchen und die Tierwelt des Naturparks zu er kunden.

Mach bei unserem Kreuzworträtsel mit! Suche das Lösungswort und erhalte ein kleines Geschenk im Tou rismusverein Olang. www.olang.com

50 PZ 24 | 8. DEZEMBER 2022 ADVENTS ZAUBER HEUER NEU: Eulenvorführungen an folgenden Terminen: 08.12. um 15.00 Uhr, 27.12. um 15.00 Uhr, 03.01. um 15.00 Uhr 14.02. um 16.00 Uhr, 21.02. um 16.00 Uhr
//cl DER KLASSIKER IN DER WINTERZEIT

Die Beilagen machen das Festessen komplett

Zum Weihnachtsbraten werden bei den meis ten traditionell der Rotkohl und die Klöße serviert. Einige fertigen die Beilagen kom plett selbst. Bei der Herstellung der Klöße existieren je nach Region und Familienrezept unzählige Varian ten. Der Aufwand ist nicht zu unterschätzen, sodass manche Gastgeber zu Weihnachten auf die fertigen, ebenso leckeren Produkte aus dem Supermarkt zu rückgreifen. Als Alternative zum Rotkohl kann der Grünkohl gereicht werden. Abgerundet wird das Fest mahl mit einer köstlichen Bratensauce. Kartoffeln und Röstgemüse gelten gleichermaßen als klassi sche Beilagen für einen Braten. Gastgeber, die ihre Lieben mit einer neuen Kreation verwöhnen wollen, entscheiden sich gegebenenfalls für einen Süß kartoffelstampf mit Salbei-Butter oder knusprige Süßkartoffel-Türmchen aus dem Ofen. Kürbis-Puf fer wären eine weitere kulinarische Alternative. Den Klassiker Rotkohl kann man beispielsweise dazu ser vieren und ihn mit etwas Zimt, Granatapfelkernen und nach Belieben mit einem Schuss exquisiten Gins verfeinern. Eine Variation des Ofengemüses kann Rosenkohl mit Nüssen und einer edlen Balsamico-Creme aus dem Feinkostgeschäft sein. Karamel lisiertes Wurzelgemüse mit Möhren, Sellerie und Pastinaken sieht nicht nur köstlich aus, sondern es wird die Gäste auch geschmack lich begeistern. Eine selbst gemachte Preiselbeermarmelade könnte

das Extra auf einem Rinderbraten sein. Zu einem Rinderbraten oder Wildschweinbraten werden häufig eher deftige Beilagen bevorzugt. Hingegen können es bei einem Geflügel- oder Lammgericht auch leichtere Menü-Komponenten sein. Gute Beilagen spielen nicht not wendigerweise die zweite Geige auf dem Tisch. Mit etwas Raffines se halten sie mit dem Braten durchaus mit. //

Weihnachtsgeschenkideen

51 PZ 24 | 8. DEZEMBER 2022 ADVENTS ZAUBER Schaukäserei Drei Zinnen I Pustertaler Straße 3/C I I-39034 Toblach/Südtirol info@schaukäsereidreizinnen.com I www.3zinnen.it
KLASSIKER ODER NEUE KREATIONEN?
der Schaukäserei Drei Zinnen Jetzt wieder erhältlich
Klöße und Rotkohl sind die klassischen Beilagen zum Weihnachtsbraten. Pixabay

Den Gro el ern Vorfreude schenken

Nicht nur die Kinder freuen sich an den Tagen vor dem Weihnachtsfest über einen Adventskalender. Eltern und Kinder, die den Großeltern eine Freude bereiten wollen, basteln gemeinsam an einem Adventskalender für die Senioren. Je den Morgen dürfen Oma und Opa ein Türchen mit der Gewissheit öff nen, dass die Familie in Liebe an sie denkt. Weihnachtlich gestalte te, kleine Boxen oder selbst genähte Stoffsäckchen bieten sich für die Aufbewahrung der täglichen Präsente an. Stoffläden und die Ge schäfte für Bastelbedarf halten die notwendigen Utensilien bereit. Für die Großeltern könnte zum Beispiel ein Frühstückskalender ge staltet werden. Verschiedene Kaffeesorten, erlesener Honig oder eine besondere Konfitüre sind darin enthalten. Für Kaffeeliebhaber gibt es im Handel fertige Adventskalender, die die Kaffeespeziali

täten aus den Regionen der Welt beherbergen. Analog dazu bieten die Teefachgeschäfte einen Adventskalender für Teeliebhaber an. Werkeln die Großeltern gern in ihrem Garten, bringt ein Gartenad ventskalender ihnen Freude. In Vorbereitung auf die nächste Garten saison wird der Kalender mit Saatgut bestückt. Nüsse, Lebkuchen und Kerzen sind weitere mögliche Inhalte eines Adventskalenders für Senioren. Außerdem können sich selbstgebastelte Figuren und Zeichnungen von den Enkelkindern in den Stoffsäckchen oder Bo xen verbergen. Gegebenenfalls stöbern die Eltern an einem Abend in der Familien-Fotobox, um längst vergessene Bilder aus frühe ren Tagen in den Adventskalender zu legen. Darüber hinaus könn ten Gutscheine für einen Familienausflug hinter manchem Türchen sein. Eltern und Kinder, die Spaß an der kreativen Gestaltung ha ben, stellen einen bunten Mix an versteckten Überraschungen im Adventskalender zusammen.

52 PZ 24 | 8. DEZEMBER 2022 ADVENTS ZAUBER
ADVENTSKALENDER
//
O U T L E T C E N T E R B R E N N E R . C O M B R E N N E R N O R D I B R E N N E R S Ü D S T . V A L E N T I N S T R A S S E 9 A I 3 9 0 4 1 B R E N N E R I T E L : + 3 9 0 4 7 2 6 3 6 7 0 0 M O D E , F A S H I O N , S P O R T & O U T D O O R O U T L E T C H R I S T M A S S H O P P I N G T Ä G L I C H G E Ö F F N E T ( A U C H S O N N T A G S ) 1 0 : 0 0 B I S 1 9 : 0 0 U H R O R I G I N A L P R E I S E - 3 0 % B I S - 7 0 % R E D U Z I E R T

Musik sprengt alle Grenzen

Am 26. Dezember 2022 findet im Kulturzentrum im Grand Hotel in Toblach ein besonderes Konzert statt. Die vier Musikbezirke Bruneck, Pustertal Oberland, Iseltal und Lienzer Talboden werden im Rahmen der Konzertreihe „Blasorchester 40+“ gemeinsam konzertieren. Damit wird an eine Tradition angeknüpft, die bis vor einigen Jahren mit großem Erfolg ausgeführt wurde.

Nach dem großen Erfolgen des SüdOsttiroler Blasorchesters 40+ in den Jahren 2014 und 2018 und dem lan gen Stillstand wegen der Covid19-Seuche wird es heuer endlich wieder ein Konzert ge beben. Sehr zur Freude der vielen Musikan tinnen und Musikanten, die dem gemeinsa men Projekt im wahrsten Sinne des Wortes entgegenfiebern. Über 90 Musikantinnen und Musikanten von der Mühlbacher Klau se bis zum Kärntner Tor und zum Felbertau ern ab dem Alter von 40 Jahren aufwärts sind mit dabei und bilden dieses bezirks- und

länderübergreifende Blasorchester. „In in tensiver Probenarbeit wurde ein anspruchs volles Konzertprogramm einstudiert. Ein be sonderer Dank gebührt dabei den beiden Dirigenten Martin Gratz aus Osttirol und

DER PARTNERSCHAFTSVERTRAG

Vor genau 20 Jahren, am 23. Oktober 2002, wurde vom ÖBV-Präsidenten Fried rich Weyermüller und VSM-Verbandsobmann Gottfried Furgler auf Schloss Prösels der Partnerschaftsver trag unterschrieben. Bereits zur Gründung des Österreichi schen Blasmusikverbandes (ÖBV) 1958 war eine Delegation des bereits zehn Jahre zuvor gegründe ten Verbandes Südtiroler Musikkapel len (VSM) angereist. Seither gab es eine enge Zusammenarbeit über die Grenzen hinweg, die schließlich 2002 durch die Unterzeichnung eines formellen Partner schaftsvertrages institutionalisiert und

somit auf eine höhere Stufe gehoben wur de. Damit wurde der VSM offiziell in eine große Kulturlandschaft eingebettet, seine fachliche Arbeit anerkannt und als Mit glied in die verschiedenen Bundeskon ferenzen aufgenommen. Der Vertrag ver brieft die jahrzehntelange Freundschaft und den gegenseitigen Re spekt beider Verbände, die in all diesen Jahren ihr Wissen und ihre Begeisterung gemeinsam weiterentwickelt und weiter gegeben haben.

Gerade heute, in einer schwierigen Zeit, ist es umso wichtiger, grenzübergreifend gemeinsam zusammenzuarbeiten, um dadurch neue Wege zu finden und Brü

cken zu bauen. Die Pandemie hat uns gelehrt, dass nichts auf der Welt selbst verständlich ist. Die Musik kennt keine Grenzen und verbindet die Herzen der Menschen.

Gerade deshalb können wir einen posi tiven Beitrag leisten, um den Menschen einen gemeinsamen und friedlichen Weg für die Zukunft vorzuleben. In diesem Sinne wünsche ich beiden Verbänden und uns Funktionären eine erfolgreiche und harmonische Zusammenarbeit auf dem Weg in die Zukunft.

54 KULTUR & KUNST PZ 24 | 8. DEZEMBER 2022
SÜD-OSTTIROLER BLASORCHESTER 40+
Sigisbert Mutschlechner aus Olang“, wie VSM-Bezirksobmann Hans Hilber auch im Namen der übrigen Verbandsobmänner auf zeigt. Die beiden Dirigenten hätten ein über aus interessantes und zugleich anspruchs
// Pepi
VSM-Verbandsobmann
Die vier Bezirksobmänner mag. Stefan Klocker (Lienzer Talboden), Johann Hilber (Bruneck-Pustertal), Andreas Berger (Iseltal) und Otto Trauner (Pustertal-Oberland). Pepi Ploner, der VSM-Verbandsobmann.

volles Konzertprogramm zusammengestellt. Das Konzert findet am 26. Dezember 2022 im Grand Hotel in Toblach (18.00 Uhr) und am 6. Jänner 2023 im Tauerncenter in Matrei in Osttirol (20.00 Uhr) statt.

Das Projekt „Bezirksblasorchester 40+“ soll jedenfalls „zu einem unvergesslichen Er lebnis“ werden. Dieses Projekt lebt die oft zitierte Zusammenarbeit und Zusammen gehörigkeit von Süd- und Osttirol. „Im ge meinsamen Musizieren kann man erleben und spüren, wie die Kraft der Musik uns be rührt und ein gemeinsames Ganzes entste hen lässt. Die Motivation aller Mitglieder dieses Orchesters ist einzigartig, da es sonst nicht möglich wäre, in nur wenigen Proben dieses anspruchsvolle Programm zu erarbei ten. Die hervorragende Besetzung des Blas orchesters erlaubt uns, Ouvertüren wie „Eg

mont“ von Ludwig van Beethoven und das Tongemälde „Die Etsch“ von Sepp Thaler zu spielen“, so Dirigent Sigisbert Mutschlech

ner nicht ohne Stolz. Man darf sich jeden falls auf musikalische Hochgenüsse freuen. // rewe

EIN BESONDERER DANK

Die beiden Dirigenten Sigisbert Mutschlechner und Martin Gratz danken in be sonderer Weise Bezirksobmann Hans Hilber, der mit dem bekannten größten Einsatz dieses Projekt betreut und somit den Samen des gemeinsamen Musizie rens auch weiterhin sät. „Es liegt an uns Dirigenten, diesen Samen in den Pro ben gedeihen zu lassen und das Ergeb nis bei den Konzerten in Toblach und Matrei zu präsentieren. Wenn wir dann auch den Marsch „Tiroler Partnerschaft“

SIEGLINDES LEBENSREISEN

Seit vergangener Woche ist in der Raiffeisen Galerie in Bruneck eine Bilderausstellung der Künstlerin Sieglinde Tatz Borgogno zu sehen, organisiert vom Brunecker Kultur verein Das Fenster.

Geboren in Eppan, lebt und arbeitet Sieglinde Tatz Borgogno in Bozen. Sie studierte in Graz, Palermo und Salzburg und arbeitete viele Jahre als Kunsterzie herin in der Landeshauptstadt. Mit Bru neck hat die Künstlerin eine ganz beson dere Verbindung, verbrachte sie doch als Kind bei Verwandten viele glückliche Aufenthalte im Rahmen der Sommerfri sche hier in der Rienzstadt. Als Künstlerin ist Sieglinde Tatz Borgog no weit über die Landesgrenzen hinaus bekannt, vor allem auch als Bildhaue rin. Kunstinteressierte kennen ihre Figu ren aus Bronze, wie etwa im einzigarti gen Skulpturengarten in Buchholz bei Salurn, ganz abgesehen von den zahl reichen Werken, welche in ganz Südti rol im öffentlichen Raum ausgestellt sind, nicht zuletzt auch im Garten des Wohnund Pflegeheims in Bruneck. In ihrem rei chen bildhauerischen Schaffen, das sie bis

heute ununterbrochen fortsetzt, findet sich als Thema vor allem die weibliche Figur als Symbol eines freiheitsliebenden und kraft vollen Wesens.

KÜNSTLERISCHE EINDRÜCKE

RUND UM DEN GLOBUS

Die aktuelle Ausstellung in der Raiffeisen kasse Bruneck widmet sich hingegen ihren Aquarellen und Zeichnungen, die viel leicht weniger bekannt sind, die den Be sucher*innen aber die Gelegenheit geben, einen besonderen Aspekt der junggebliebe nen 80jährigen Künstlerin kennenzulernen. Denn Sieglinde Tatz Borgogno hat als Künst

des kürzlich verstorbenen Florian Pedar nig bei den Konzerten hören werden, ge denken wir in Dankbarkeit eines großen Osttirolers, welcher immer wieder dieses gemeinsame Tirol in der Musik unter strichen hat“, so Mutschlechner und Gratz. Im Trio heißt es übrigens: „Ostund Südtirol, wir sind eng verbunden in Stadt und Land in fester Partnerschaft.“ Durch Musik lassen sich enge Verbin dungen also noch enger machen. // rewe

lerin stets ihren ganz eigenen Weg einge schlagen, um die Welt zu begreifen und die ser, aus ihrer Sicht, einen Sinn zu geben. So haben sie auf ihren unzähligen Reisen im Laufe ihres Lebens, die sie quer durch Euro pa, nach Afrika, in den Nahen Osten und nach Amerika geführt haben, stets Farben, Papier und Pinsel begleitet. Auf Hunder ten von Blättern hat sie flüchtige Eindrücke von Menschen und Landschaften festgehal ten. Ihr Motto dabei: Kunst bedeutet Frei heit! Und diese Freiheitsmomente werden in ihren Bildern und Zeichnungen dargestellt. Bezeichnend dafür auch der Titel der Aus stellung: Meine Lebensreise(n)…

Die Frage, wie ihre Kunst entsteht, beant wortet die Künstlerin folgendermaßen: „Ich sitze auf einer Wolke und träume. Die Idee, die entsteht, muss dann sofort umge setzt werden. Es ist wie ein Sprung ins kal te Wasser. Wichtig ist es, nicht zu denken, und es ist absolut unwichtig, was andere da zu sagen. Wichtig ist nur, was meine Seele dazu sagt!“ // jst

55 KULTUR & KUNST PZ 24 | 8. DEZEMBER 2022
AUSSTELLUNG VOM KUNSTVEREIN „DAS FENSTER“
Die Ausstellung ist noch bis zum 19. Jänner 2023 zu sehen. Öffnungszeiten (zu Geschäftszei ten der RAIKA Bruneck) Mo., Di., Mi., Fr.: 8.00 - 12.30 / 14.30 - 16.30 Uhr Do.: 8.00 - 12.30 / 17.00 - 18.30 Uhr // DIE AUSSTELLUNG Eines der ausgestellten Werke: Kenia. Wir suchen ab sofort Verstärkung für unser Team im Mountain Shop Tubris in Sand in Taufers! BERGSPORTFACHVERKÄUFER/IN in Voll- oder Teilzeit Bewerbung per Mail an: job@mountain-shop.com

Bee happy!

Vom Glück, dass Bienen unsere Welt am Laufen halten und vom Glück zu gewinnen! Am 11. No vember 2022 wurden im Rahmen der Ausstellungseröffnung des Kunst wettbewerbs „Bee happy!“ die Sie gerinnen und Sieger prämiert. Der Wettbewerb wurde von Bibliothek und Bildungsausschuss Toblach ausgerichtet. Es galt das Glück, das den Menschen durch die wertvolle Arbeit der Bienen zuteilwird, in Bil dern festzuhalten. In der Jury arbei teten Nina Schröder, Manfred Mitter hofer und Aurelio Fort. Sie haben folgende Siegerinnen und Sieger er mittelt.

Die Preise überreichte der Vorsitzende des Bildungsausschusses, Andreas Walder, in Anwesenheit der Künstlerinnen und Künst ler, Vertreter des Imkervereins Toblach so wie interessierter Gäste. Die drei prämierten Künstlerinnen und Künstler erhielten jeweils

1. Preis

Das Werk ist eine abstrakte Interpreta tion des Themas. Die Anordnung der vie len Striche lesen sich wie eine Partitur, die eine eigene Sprache spricht. Gleich zeitig sind sie eine Anspielung auf die Be wegungen vieler einzelner Bienen. Der gel be Hintergrund erinnert an Honig und an das Lichte. Einige wenige rote Farbfelder laden das Bild energetisch auf. Insgesamt zeigt das Bild ästhetische Effizienz.

2. Preis

Svea Schade (Toblach)

Das Bild trifft das Thema zur Gänze. Es zeigt explodierende Freude gepaart mit blumiger, in sich überquellender Natur.

Die Künstlerin interpretiert das Thema auf spielerische Art und Weise und schafft ein üppiges, geradezu barockes Werk.

ein Insektenhotel sowie Gutscheine für Bü cher bzw. Druckarbeiten in Höhe von 500 bzw. 400 Euro. Für die Nominierung gab es ein Zeitschriften-Abo. Alle übrigen Teilneh menden durften sich über einen kleinen An erkennungspreis freuen. Zur Abrundung des

Abends leitete das Bibliotheks-Team eine Achtsamkeitsübung mit Verkostung eines Honigprodukts an. Bei einem kleinen Um trunk und angeregten Gesprächen klang der Abend schließlich in gebotener Wertschät zung für die Bienen aus. // Edith Strobl

Die Künstlerin begegnet dem Thema auf ganz formelle und nüchterne Art, ohne Schmuck und Allüren. Es ist eine sehr essentielle und pure Interpretation des Themas.

Nominierung:

Kolibri (D – Jestetten-Altenburg)

Das Werk besticht durch die aufwändige Technik, die einer Sisyphusarbeit gleich kommt und damit die streng koordinierte Arbeit der Bienen ehrt. //

2. Preis ex aequo Maria Luise Ortner (Innichen)

56
& KUNST PZ 24 | 8. DEZEMBER 2022
KULTUR
KUNSTWETTBEWERB IN TOBLACH
Von links nach rechts: Andreas Walder, Svea Schade, Alex Pergher, Maria Luise Ortner, Edith Strobl, Frieda Oberhammer und Guido Bocher bei der Abschlussveranstaltung. Alex Pergher (Mühlbach)

Stürmisch durch den

Am dritten Adventsonntag erklingen mit „Sturm & Klang“ unentdeckte Klangwelten aus der Volksmusik im Gustav-Mahler-Saal. Das steirische Trio „Sturm & Klang“ setzt sich zusammen aus dem Harmonikaspie ler und Bassklarinettisten Andreas Jamnik, dem Kontrabassisten und Gitarristen Maxi milian Ganster sowie dem Perkussionisten und Harmonikaspieler Johannes Kölbl. Ge tragen von der steirischen Harmonika und traditioneller Volksmusik wechseln sie die Instrumentierung ebenso wie die Genres. Tradition geht hier eine perfekte Symbiose mit Jazz, Klassik und Weltmusik ein – und ergibt einen mitreißenden Klang. Ihr Debutalbum „Makole“ wurde mit und bei Herbert Pixner persönlich aufgenom men und präsentiert sich mit tiefgründigem Spielwitz, technischer Perfektion und enor mer Vielseitigkeit. Freuen wir uns auf den ersten Südtirol-Auftritt der jungen Steirer!

Der Termin: 11. Dezember, 18:00 h

WELTSTAR AM EUPHONIUM

Brillante Technik, fantastische Leichtigkeit, musikalische Bravour: In der Brass-BandWelt ist er bereits eine Legende! Der britische Euphonium-Star David Childs, einer der bes ten Solisten seiner Generation, kommt zu sammen mit den „Symphonic Winds“ nach Toblach. Als Solist trat David Childs unter anderem in Australien, Japan, Hong Kong, Europa und den USA auf. Als Gastsolist arbeitet er regelmäßig mit verschiedenen renommierten Sinfonieorchestern, so unter anderem mit dem BBC National Orchestra

oder dem Royal Philharmonic Orchestra zu sammen. Seine CD-Produktionen mit virtu osen und getragenen Solo-Werken finden weltweit Anerkennung.

Am 17. Dezember wird David Child zusam men mit dem unter der künstlerischen Lei tung von Alexander Veit stehenden Blasor chester „Symphonic Winds“ zu hören sein. Auf dem Programm stehen u.a. „Someo ne like you“ von Frank Wildhorn und Udo Jürgens „Das Beste!“ arrangiert von Gui do Rennert.

Der Termin: 17. Dezember, 20:00 h // baru

57
PZ 24 | 8. DEZEMBER 2022
KULTUR & KUNST
KULTURZENTRUM TOBLACH
Nach dem Innsbrucker „Groovin‘ Tango Quintett“ und dem Pariser „Ensemble Diderot“ stehen in den beiden letzten Adventskonzerten des Kulturzentrums Toblach ein Newcomer der Neuen Volksmusik und ein Weltstar am Euphonium auf der Bühne. Bei Schmutz und Flecken... Wir sind für Sie da! Josef-Seeber-Straße 8, Bruneck mit Kundenparkplatz Tel. 388 588 0203 info@naturalcleanbrunico.it www.naturalcleanbrunico.it LAVANDERIA & LAVASECCO WÄSCHEREI & TROCKENREINIGUNG natural clean Der Duft der Natur Il profumo della natura
Dezember
Sturm und Klang ©kubiza.at
Symphonic
David Childs
Winds

Besonders und zauberhaft

In einer besonderen und zauberhaf ten Atmosphäre die Vorweihnachts zeit im Herzen der Dolomiten erleben. Bei schneeweißen Landschaften, an genehmen Lichtern und sanften Weih nachtsmelodien. Diese Jahreszeit ist von jahrhundertealten Traditionen und Augenblicken im engsten Familienkreis geprägt. Auch dieses Jahr verbreiten die Dörfer in Hochabtei/Alta Badia in den kommenden Wochen eine authentische Weihnachtsstimmung.

Nach dem Skifahren auf den Pisten von Alta Badia gibt es nichts Verlockenderes als sich bei einem guten Glühwein in Gesellschaft zu wärmen. Dieses Jahr kann man diesen wie der in der Fußgängerzone in St. Kassian, im Paisc da Nadé, genießen, einem Weihnachts dorf, das mitten im Ort aufgebaut wird, um eine traditionelle Atmosphäre zu verbreiten, wie sie in den Südtiroler Tälern zur Weih nachtszeit herrscht. Die Holzhäuschen mit ihren Lichtern und Weihnachtsdekorationen bilden die Kulisse für ein volles Aktivitätenund Veranstaltungsprogramm. Die kleinen Hütten bieten verschiedenste gastronomi sche Produkte und man kann auch die Pro dukte von „Fat a Man“ kaufen. Dabei handelt es sich um Haushaltsartikel mit Qualität-De sign, welche von professionellen Handwer kern des Gadertales gemacht sind. Das Paisc da Nadé präsentiert sich als au thentischer Ort, der stark an die weihnacht lichen Traditionen gebunden ist, wo man persönlich das feste Band mit der ladini schen Kultur in einer Atmosphäre spüren kann. Bei einem gemütlichen Spaziergang in der Fußgängerzone kann man die alten Weihnachtstraditionen entdecken und mehr über die ladinische Kultur erfahren. Traditio nelle Bräuche wie die von S. Micurá – St. Ni kolaus, von der Weinhachts-Krippe, von der „Bambona“ - den Neujahrswünschen und vom Pantoffelwurf werden auf den Informa tionstafeln genau beschrieben und auch den jungen Generationen weitergegeben. Dazu kann man auch die Ausstellung der hand gefertigten Krippen im Dorfzentrum bewun dern. Das Weihnachtsdorf ist bis zum 7. Ja nuar 2023, von 16 bis 19 Uhr geöffnet.

WEIHNACHTSMARKT IN CORVARA

Auch dieses Jahr wird der nunmehr traditio nelle Weihnachtsmarkt in der Dorfmitte von Corvara eingerichtet. An den Holzhäuschen kann man Weihnachtsschmuck, Kunsthand werk, doch auch lokale Produkte und Spe

zialitäten erwerben. Natürlich fehlt es auch nicht an hausgemachten Süßspeisen, ver schiedensten Tees und Glühwein. Die Krippe in Echtgröße, welche vom Bildhauer-Meis ter Leo Moroder aus St. Ulrich aus Holz ge schnitzt wurde und am Pavillon des Gemein deplatzes aufgebaut ist, bietet die Kulisse für den Weihnachtsmarkt. Mehrere Konzer te von Musikgruppen und Chören des Or tes beleben zusätzlich die weihnachtliche Stimmung. Am 6. Januar kommen die Hei ligen Drei König und die „Befana“ auf den Weihnachtsmarkt zu Besuch, um alle Kinder zu begrüßen. Die Öffnungstage des Weih nachtsmarkts: bis 11., 16. bis 18. und vom 22. Dezember bis zum 6. Januar von 16:00 bis 19:00 Uhr.

WEIHNACHTSZAUBER IN KOLFUSCHG Musik und Süße Genüsse sind die Merkma le der Veranstaltung „Weihnachtszauber“, die auf dem Kirchplatz in Colfosco organi siert wird. Der erste Termin steht am Mon tag, 5. Dezember von 16:30 bis 18:30 Uhr auf dem Programm. Auf dem Kirchplatz werden verschiedene traditionelle Süßwa ren sowie warme Getränke serviert. Paolo und Victor kümmern sich um die musika lische Unterhaltung und um 17:30 kommt der Nikolaus, um den kleinen Kindern eine süße Überraschung zu übergeben. Die Ver anstaltung wird noch zweimal während der Weihnachtstage wiederholt: am 20. Dezem ber wird man die Melodie an der Ziehhar monika von Ermes Costa hören während am 3. Januar das Alphorn-Trio „Cors da Munt Sassongher“ die bekanntesten Weihnachts melodien vortragen wird. Während der Ad

vents- und Weihnachtszeit kann man auch die handgefertigten Krippen einiger lokalen Handwerker bewundern, welche auf dem Kirchplatz ausgestellt sind.

Diese Veranstaltung, sowie das Weihnachts dorf in San Cassiano und der Weihnachts markt in Corvara haben die Auszeichnung „GreenEvent“ erhalten, da sie im Rahmen der Nachhaltigkeit nach spezifischen Kri terien geplant, organisiert und umgesetzt.

ADVENT TE PLAZA – ADVENT IM DORF Auf dem Dorfplatz in Badia kann man am 9. und 16. Dezember 2022 einen gemütlichen winterlichen Abend genießen. Hier werden die Gastwirte aus Badia gemeinsam mit der Bauernjugend und der Jugendgruppe des Dorfes warme Getränke und heiße Suppe servieren. An diesen Abenden wird man Weihnachtsmelodien von lokalen Musik gruppen ab 18:00 Uhr hören.

RODA DLES CRIPLES

In Wengen wird man die weihnachtliche At mosphäre auf einer besonderen Weise spü ren. An mehreren Plätzen des Dorfes werden verschiedenen Krippen ausgestellt: von le bensgroßen Darstellungen bis hin zu gemal ten oder geschnitzten Krippen, von den klas sischsten zu den originellsten. Die Krippen können bei einem gemütlichen Spaziergang durch die Fraktionen von La Val den ganzen Tag bewundert werden und am Abend sind diese auch beleuchtet. Freitags und sams tags während des Dezembermonats werden warme Getränke seitens des Sportvereines in der Nähe des Vereinssaales ab 18:00 Uhr ausgeschenkt.

58
& KUNST PZ 24 | 8. DEZEMBER 2022
KULTUR
ADVENTSZEIT IN HOCHABTEI
Advents- und Weihnachtszauber in Hochabtei. Freddy Planinschek

Zum Paradiese mögen Engel dich geleiten…

Ein große Sängerschar aus verschiedenen Chören des Pustertals, Schülerinnen der Musikklassen des Sozialwissenschaftlichen Gymnasiums Bruneck, Sopransolistin Stefanie Steger sowie ein Orchester mit Musikerinnen und Musiker - vorwiegend aus dem Pustertalbrachten am letzten Oktoberwochenende die Stiftskirche Innichen und die Pfarrkirche Taufers zum Erklingen. Auf dem Programm stand das „Requiem“ von Karl Jenkins.

Nach zwei harten Jahren des War tens, Bangens und Hoffens war es endlich möglich, das bereits im Jahr 2020 geplante Projekt umzusetzen. Die Pan demie erforderte von jedem Einzelnen gro ße Opfer im Alltag und Verluste von liebge wonnenen Mitmenschen.

Das Requiem des walisischen Komponisten Karl Jenkins erwies sich als passende Musik wahl, konnten mit der Aufführung dieses Werks nämlich gleich mehrere Ziele erfüllt werden: Es konnte in gebührender Weise an den verstorbenen Bezirksobmann Rudi Duregger gedacht werden. Als Würdigung seines jahrelangen, aufopferungsvollen Ein satzes für den Bezirk Pustertal fanden diese Konzerte auch ihm zu Ehren statt. Auf das unmittelbar bevorstehende Fest zu Allerhei ligen und Allerseelen und dem Totengeden ken konnte mit dem Requiem eingestimmt werden. Schließlich erlaubte die Charakte ristik des Werks aber auch ein gemeinsa mes Auftreten verschiedener Generationen. Die “klassischen”, lateinischen Requiemtei

Die Chorgemeinschaft aus dem Pustertal konnte sich sowohl in Innichen als auch in Sand in Taufers über ein volles Haus freuen.

le wurden von 56 Sänger.innen aus verschie denen Pustertaler Chören dargeboten, wel che sich einmal im Monat seit März 2022 mit Bezirkschorleiter Markus Federer zu gemein samen Proben eingefunden haben. Die fünf japanischen Haiku-Gesänge hingegen wur den von den Schülerinnen der Musikklas sen des Sowigyms Bruneck vorgetragen. Die se erarbeiteten sie mit ihren Lehrpersonen Adele Vikoler und Hannes Tschurtschentha ler während der Unterrichtszeit. Markus Federer setzt es sich als Bezirkschor leiter zum Ziel, den Sänger.innen im Bezirk in regelmäßigen Abständen ein besonderes musikalisches Projekt anzubieten. Dabei ist es ihm ein großes Anliegen, verschiedene Al tersgruppen musikalisch zusammenzubrin gen. Dieses Ziel spiegelte sich nicht nur bei den Sänger.innen, sondern auch in der Be setzung des Orchesters wider: Neben pro fessionellen Musikern wurden gezielt auch junge Musiker engagiert.

Gestärkt durch die gemeinsame Zeit und das große musikalische Erlebnis, zudem be rauscht durch das Feedback der unglaubli chen Publikumsschar freuen sich die Betei ligten heute schon auf die Ausschreibung eines neuen Projektes. // Albin Pramstaller

Wirsuchen MITARBEITER

59 KULTUR & KUNST PZ 24 | 8. DEZEMBER 2022 Tel.: 0472 86 90 29 www.gruber-steinmetz.it Handwerkerzone 2, 39030 Vintl - Südtirol
PERFEKTES GEMEINSCHAFTSWERK

Neuer Schwerpunkt „Tourismus“ im Sprachenprojekt

Die WFO Innichen ist unter anderem auch für ihr Sprachen projekt bekannt, das schon seit vielen Jahren erfolgreich läuft und in dem die Mehrsprachigkeit der Schülerinnen und Schüler gezielt gefördert wird. Die Lehrkräfte aus den Fächern Deutsch, Italienisch und Englisch gestalten dieses Projekt gemeinsam. Den Schülerinnen und Schülern der ersten und zwei ten Klassen wird verstärkt ermöglicht, ihren multilingualen Wortschatz zu erweitern und das „Switchen“ zwischen den jeweiligen Sprachen einzuüben. In den letzten Schuljahren wurden viele verschiedene Konzepte (Weihnachtstheater, Weihnachtsvideos oder situationsgebundene Sprachspiele) realisiert.

Im heurigen Unterrichtsjahr wurde im Sprachenprojekt der zwei ten Klassen der Schwerpunkt Tourismus gesetzt, in dem eine mehr sprachige Kompetenz naturgemäß besonders relevant erscheint. Die Schüler*innen vertieften ihr Wissen zum Thema und ihre Sensibi lität für das Thema mit Interviews, Erhebungen, Analysen von the menzentrierten Dokumentationen, Rollenspielen und Ähnlichem. Dabei wurde klar, dass der Tourismus eine wesentliche Säule der Wirtschaft unseres Landes darstellt und dass sich das Thema aus

gesprochen vielschichtig präsentiert. Als Schreck-gespenst wurde der sogenannte „Overtourism“ erkannt, der sich etwa in Venedig schon längst als Riesenproblem manifestiert, aber auch bei uns –beispielsweise am Pragser Wildsee – nicht mehr wegzuleugnen ist. Diesbezüglich befragten unsere Schüler*innen Touristen und Ein heimische, wie sie die neuen Regelungen am Pragser Wildsee emp finden. Das Echo war meist positiv, nur das Stau-/ Parkplatzprob lem am Eingang des Pragsertals stellt für viele ein Problem dar, das einer besseren Lösung zugeführt werden muss.

VIELE MÖGLICHKEITEN

Im Gegensatz zum Übertourismus wurde auch der sanfte Tourismus analysiert, der sich als Leitziel für Südtirol anbietet und in vielen Gebieten schon eine deutliche Aufwertung erfahren hat. Diesbe züglich befassten sich die Schülerinnen und Schüler vor allem mit der Arte-Dokumentation „Dolomiten in Gefahr“ und kamen zum Ergebnis, dass ein ausgewogenes Verhältnis zwischen Natur- und Tourismusbedürfnissen nur erreicht werden kann, wenn man auf den ständigen quantitativen Zuwachs verzichtet und umsichtige, ressourcenschonende Tourismusprojekte angepeilt. Nachhaltiger Qualitätstourismus muss hier Richtlinie und Ziel sein.

Als weiteren Punkt nahm die Schulklasse die Frage unter die Lupe, warum immer weniger Menschen bereit sind, im Tourismus, der an sich ein tolles und abwechslungsreiches Betätigungsfeld darstellt, zu arbeiten. Die Antworten der Interviewten liefen auf altbekannte Themen hinaus: zu wenig Freizeit, keine leistungsentsprechende Entlohnung, geringe Wertschätzung. Auf die Frage, wie dem vorge beugt werden kann, wurden neue Arbeitszeitmodelle genannt (z.B. je nach Wunsch eine 4- oder 5-Tage-Woche) und eine entsprechende Bezahlung mit anspornenden Benefits, was bestimmte touristische Betriebe ja jetzt schon umsetzen. Damit der Tourismus in unserem Land aber ein attraktives Feld bleibt – so die Erkenntnisse des Pro jektes – dürfen alte Fehler (z.B. die „Vergewaltigung der Umwelt“) nicht wiederholt werden und die Augen vor neuen Herausforderun gen („sanfter Tourismus“, neue Personalpolitik) nicht verschlossen werden.

60
& SCHULE PZ 24 | 8. DEZEMBER 2022
BILDUNG
WFO INNICHEN
//
Weihnachts Brunch 24.12. 11:00 - 14:00 € 45,- P.P. Live Musik vom Werth Quartett Book a table 0474 834 000 cosmo-bruneck.com Book a table 0474 834 000 cosmo-bruneck.com COS_Inserat_Pustertaler_Zeitung_90x128_V2_CH_1222.indd 1 29.11.22 15:24
Lorena (links im Bild) aus der Klasse 2a der WFO Innichen beim Interview mit Touristen.

Skitechniker zertifiziert und schon einsatzbereit

Neun neu zertifizier ten Skiservicetech niker und -technikerinnen sind bereit für die Wintersaison: Eine richtig ein gestellte und gut gewartete Ausrüstung ist nämlich die wichtigste Voraussetzung für einen sicheren Ski-Spaß.

Acht Männer und eine Frau haben die Aus bildung zum Skiser vicetechniker oder Skiservicetechnikerin in diesem Jahr erfolg reich durchlaufen. Am vergangenen Freitag (25. November) haben sie am Berufsbildungszentrum Bruneck (BBZ) die Zertifikate für die berufliche Qualifikation in Empfang genommen. Der nächste Lehr gang startet im Herbst nächsten Jahres: Teilnehmen können bereits im Beruf tätige Mitarbeitende, aber auch Quereinsteigende. Das Berufsbildungszentrum Bruneck bietet seit einigen Jahren einen Grund- und einen Aufbaulehrgang für Skiservicetechnik an. Die Teilnehmenden lernen dabei, worauf es bei der guten Skipräpara tion ankommt. Die gesetzliche Voraussetzung für den Lehrgang ist die Berufliche Qualifikation „Skiservicetechniker/Skiservicetechni kerinnen“, welche die im Lehrgang vermittelten Kompetenzen im Detail beschreibt. Sie wurde vor einigen Jahren in Zusammenarbeit mit dem BBZ Bruneck und der Koordinationsstelle Berufliche Wei terbildung der Landesdirektion deutschsprachige Berufsbildung so wie unter Einbindung des Experten Ernst Messner und des Landes handwerkerverbands LVH erarbeitet.

neu zertifizierte Skiservicetechniker und -technikerinnen beim

LEHRGANG VON 172 STUNDEN

Zu den Referenten des 172-stündigen Lehrgangs zählt auch Roberto Moling, der Obmann der Berufsgemeinschaft für Sportgerätetech niker im LVH. In diesem sehr praxisorientierten Lehrgang werden umfassende technische Kenntnisse vermittelt: vom Skiaufbau über Kantentuning, Wachsen und Schleiftechniken, Maschinen-Einstel lung, Bindungsprüfung sowie viel praktisches Arbeiten mit den ver schiedenen Geräten, Skiservice-Maschinen und Robotern. Die Ex perten referieren ebenso über Arbeitssicherheit, den Umgang mit Kunden und über Haftungsfragen.

Der Grundlehrgang geht von September bis Dezember, der Auf baulehrgang dauert von September bis November des Folgejahres. Anschließend stellen die Teilnehmenden ihre Kenntnisse in einer praxisorientierten Zertifizierungsprüfung unter Beweis. Ziel der Ausbildung ist es, Kompetenzen und Fertigkeiten zu vermitteln, die Skiservicetechniker und Skiservicetechnikerinnen für ihre täg liche Arbeit benötigen. Bei einer praxisorientierten Zertifizierungs

61 BILDUNG & SCHULE PZ 24 | 8. DEZEMBER 2022
BERUFSBILDUNGSZENTRUM BRUNECK
prüfung werden diese Kompetenzen nach Abschluss des Lehrgangs auch unter Beweis gestellt. //
jw
Neun Abschluss in Bruneck. BBZ

Wir suchen Dich!

Nach eins – zwei – sogar drei Jahren Abstinenz - wagen das UFO und die Stadtbibliothek Bruneck einen Neu anfang. Voller Tatendrang wird an der Organisation der Literaturnächte 2023 gebastelt. Die Projektgruppe be stehend aus Gunther Niedermair vom UFO, Sonja Hartner und Michaela Grü ner von der Stadtbibliothek Bruneck hat schon drei Nächte organisiert. Was fehlt? Richtig! Du fehlst! Wenn du Teil der Neuausgabe 2023 sein möch test, dann lies weiter. Wenn nicht, lies trotzdem weiter, vielleicht überzeugt dich diese Einladung, es doch einmal zu versuchen.

Seit vielen Jahren heißt es jeweils im Fe bruar und März an vier aufeinanderfol genden Dienstagen: Achtung Literatur! Das Konzept wurde mehrfach verändert, neue Ideen wurden geboren und umge setzt oder in Abgründen versenkt, Verbesserung und Attraktivitäts steigerung waren stets Programm. Nur ein Abend hatte all die Jah re überdauert, ohne dass die Luft heraußen wäre. Der allerletzte,

Die Veranstaltung stößt stets auf sehr großes Interesse.

an dem das so genannte Literaturfest/ival/e über die Bühne geht, war und ist hoffentlich auch in Zukunft ein Selbstläufer. So soll es sein, so darf es bleiben!

Wenn du Teil dieses wunderbaren Abends sein willst, dann melde dich am besten sofort. Wir brauchen ein Foto von dir, einen Text ausschnitt (wenigstens eine, höchstens drei Seiten) und einen kur zen Lebenslauf. Ob du schon Erfahrung auf der literarischen Bühne hast, ist uns egal. Ebenso egal sind uns dein Alter, dein Geschlecht, dein Beruf, deine Sprachgruppenzugehörigkeit. Erlaubt ist, was ge fällt. Lyrik, Prosa, Dramatisches … Schicke alles an das Jugend- und Kulturzentrum UFO Bruneck info@ufobruneck.it, Kennwort Litera turnächte 2023. Am Dienstag, dem 7. März 2023 um 20.00 Uhr soll test zu Zeit haben. Dann steigt das Literaturfest/ival/e. Es erwartet dich das beste Publikum der Welt, coole Livemusik von der Musik schule Bruneck und ein spritziges Moderatorinnenteam. Was fehlt? Richtig! Deine Texte! Ran an den Computer und noch heute abschi cken. Einsendeschluss ist Freitag, der 23. Dezember 2022. Weitere Infos gibt es bei Michaela Grüner in der Stadtbibliothek Bruneck. michaela.gruener@gemeinde.bruneck.bz.it. Die Veranstalter freuen uns über viel Interesse und über noch mehr lässige Texte. // mig

Die letzte Siegerin Eva Katharina Aichner.

62
& SCHULE PZ 24 | 8. DEZEMBER 2022
BILDUNG
LITERATURFESTIVAL 2023
„Werbung gibt dem Unternehmen ein Gesicht. Sie steigert den Be kanntheitsgrad und den Umsatz.“ Hans Paulmichl (Verkauf) T. 340 2498606

EINE MAULSCHELLE VERPASSEN SICH EINEN GROSSEN SCHIRM AUFSPANNEN

So unschön das Feilhalten von Maulaffen ist, so unangenehm ist es, wenn man eine Maulschelle verpasst kriegt.

Eine Schelle ist eine kleine Glocke, das Maul die Bezeichnung für den Mund eines Tieres. Bei der Maulschelle handelt es sich also um eine „Maulglocke“.

Jede Glocke wackelt und schwingt, wenn sie angestoßen wird. Die Wendung von der Maulschelle verursacht daher die lustige Vor stellung, dass, wenn man eine saftige Ohrfeige kriegt, der Kiefer schwingt und wackelt wie eine Glocke. Glücklicherweise ist es heutzutage nicht mehr üblich, sich gegensei tig und vor allem Kinder mit Maulschellen zu „behandeln“. // mb

Die im wirtschaftlichen Bereich übliche bildhafte Redensart vom großen Regenschirm bezieht sich auf persönliche und/oder finan zielle Absicherung auch in unvorhersehbaren Situationen. Geht man wirtschaftliche oder persönliche Risiken ein, braucht man hieb- und stichfeste Sicherheit für den Schadensfall. Je nach dem, um welchen Bereich es geht, findet man sie in vielerlei For men von der Versicherungspolizze über Garantien, Entschädigun gen und Haftungen aller Art. Will man nicht in den Regen kommen oder gar in den See fallen, sollte der Sicherheitsschirm hieb- und stichfest und auf jeden Fall groß genug sein. // mb

63 BILDUNG & SCHULE PZ 24 | 8. DEZEMBER 2022
REDENSARTEN
KURIOSE

Piz da Peres im Herbstmantel

Die Sonne im Herz

64
PZ 24 | 8. DEZEMBER 2022
LESERFOTOS
Schnee beim Fadenstöckl Katrin Leiter aus dem Ahrntal Irma Perfler Marmorierte Baumwanze Luis Nagler aus Vahrn
So sieht es am
Arlberg aus... Margit Holzer aus St. Sigmund Roman Frontull aus Enneberg Almabtrieb mit Herbstfest: Terenten 2022 Josef Engl aus Terenten Werner Plankensteiner aus Issing

Zusendungen

65 LESERFOTOS PZ 24 | 8. DEZEMBER 2022
an:
info@pz-media.it
Bruneck
geben Sie
und das
an! Liebe Leserinnen und Leser, schickt uns Eure schönsten, lustigsten, überraschendsten und/oder atemberaubendsten Bilder –wir zeigen sie dem Pustertal! Mein schönstes Leserfoto Die PZ behält sich das Recht vor, Inhalte und Fotos aus ethischen und anderen Gründen abzulehnen.
E-Mail:
oder PZ, Oberragen 18, 39031
Wichtig: Bitte
Ihren Namen, ihren Wohnort
Kennwort „Leserfoto“
Sillianerhütte im Schatten Albert Oberleiter
Tiefrasten Christina Mellauner aus Pfalzen Herbststimmung am Toblachersee Erna Tschurtschenthaler aus Toblach Der Herbst zeigt sich mit seiner Schönheit Ferdinand Gatterer aus Pfalzen
Pojenspitz
Christian Rieder aus St. Johann Kompfoss-See bei Terenten Toni Willeit aus Ehrenburg

Die männerVorzeige-Schlussaus Übersee

In einer bisher durchwachsenen Saison der HC Pustertal Wölfe stechen nur wenige Einzelkönner hervor. Zu wahren Galionsfiguren des Vereins haben sich aber jüngst die Lebensversicherung der letzten Spielzeit, Tomas Sholl, und Italiens Nationaltorhüter Jake Smith (er ist aufgrund seiner Wurzeln Doppelstaatsbürger) gemausert. Nach der knappen und unglücklichen Heimniederlage gegen Wien traf PZ-Reporter Dominik Faller das Torwart-Tandem.

PZ: Danke, dass ihr euch heute noch Zeit nehmt. Wie würdet ihr denn den Spielstil und die Charaktereigenschaf ten des jeweils anderen beschreiben?

Jake Smith: Tomas ist ein großartiger Tor wart und noch besserer Typ. Wir arbeiten echt gut zusammen und der Spaß kommt auch nicht zu kurz. Sholly ist auf dem Eis ein absoluter Kämpfer, ich liebe es, ihm zu zuschauen und mit ihm aufs Eis zu gehen.

Tomas Sholl: Jake ist ein energiegeladener Spieler, der in der Kabine für gute Stimmung sorgt. Auf dem Eis bewegt er sich mit viel Power und Können. Manchmal ist es lustig für mich zu sehen, wie hervorragend er sein Spiel unter Kontrolle hat.

Smith: Was für ein nettes Kompliment! Wir spielen einen verschiedenen Stil, auf dem Eis funktioniert es zumeist aber. Durch das kann man zudem gegenseitig einiges vonei nander abschauen.

Jake, letztes Jahr warst du die unan gefochtene Nummer Eins bei Ritten in der Alps-Hockey-League, während To mas beim HCP den Marathonmann gab. Heuer spielen beide ungefähr gleich viel und ihr wechselt euch häufig ab. Bewertet ihr das positiv?

Sholl: Total, letztes Jahr machte es schon Spaß ständig zu spielen, aber du bist dann halt auch schnell mal erschöpft, dies schwächt das Team auf Dauer durchaus. Heuer weiß die Mannschaft, dass jeder von uns ständig bereitsteht und sie vertraut uns, wissend, dass die Chance auf den Sieg stets da ist. Es ist somit für das gesamte Gefüge sehr sinnvoll, zudem fällt von den Torhü tern etwas der Druck ab, da ja auch jemand anderes da ist, der in zu allen Zeitpunkten den Job machen kann.

Smith: Ich habe ebenso enorm viel gespielt und dies ist heuer anders. Auf diesem hohen Niveau versuchen wir, uns zu noch besse ren Leistungen zu pushen. Es ist schön und

macht Spaß zu sehen, wie gut wir miteinan der auskommen und wir spüren ein großes Vertrauen von Seiten des Teams. Derart kom petitiv zu sein, ist eine gesunde Ausgangsla ge und macht uns besser.

Sholl: Wir kommunizieren auch viel und es ist interessant, neue Sichtweisen auf gewis se Situationen zu erfahren.

Smith: Der Tschomby (Anm.: Thomas Tra gust, Torwarttrainer) managed die Situation hervorragend und arbeitet sehr gut, dies sei an dieser Stelle erwähnt.

Schade ist jedoch, dass für den letztjäh rigen Ersatztorwart Hannes Stoll kein Engagement mehr zustande kam, auch nicht in der Alps Hockey League.

Sholl: Dies ist schon eine Schande… Er ist sehr jung und talentiert und ich weiß nicht, wie das mit den interessierten Teams gelau fen ist. Derzeit zeigt er im E-Sports-Team des HCP sein Können, was ich spannend finde. Ich hoffe aber wirklich, dass er sich zukünf tig noch auf hohem Eishockey-Niveau be weisen kann.

Trotz des starken Torwartspiels blie ben bislang die erwünschten Resulta te oftmals aus.

Smith: Wir haben ein großartiges Team. Lei der kamen einige Auf und Abs, sowie ordent lich Pech dazu. Wir wollen nun so schnell wie möglich zeigen, dass die ersten Spiele Geschichte sind und wir eine starke Mann schaft sind, die die Playoffs erreicht.

Sholl: Richtig, das Talent ist unbestritten da und es wären mehr Punkte drinnen ge wesen. Aktuell ist die Tabelle sehr eng und auch wenn es bis hierher nicht nach Wunsch gelaufen ist vertrauen wir in das Team, den Staff und auch uns, um unter die ersten sechs oder zehn Teams zu kommen.

Wie ausgiebig wurde bis dato bereits analysiert?

Sholl: In der kommenden Woche werden unsere Partien dieser Woche ausgiebig mit Thomas Tragust per Video analysiert.

Smith: Zudem werden wir vermehrt das geg nerische Überzahlspiel analysieren.

66 SPORT & FREIZEIT PZ 24 | 8. DEZEMBER 2022
HC PUSTERTAL
Das Goalie-Tandem des HCP beim Interview-Termin mit der PZ. df

Jake, du kennst die Liga und Bruneck schon lange.

Smith: Die neue Arena ist natürlich ein Mei lenstein, es ist ein wunderbarer Ort mit einer unglaublichen Atmosphäre. In der Alps war der HCP stets eines der besten Teams und daher habe ich vom Verein in der ICE Hockey League natürlich wieder dasselbe erwartet. Die Liga ist weiterhin sehr stark, das Level ist jährlich am Steigen und somit auch ihr Stellenwert in Europa. Ich bin total glück lich, hier zu sein.

Lasst uns kurz über wichtige persön liche Projekte von euch reden. Etwa „Shollys Goalies“.

Sholl: Bereits früh habe ich mich fürs Tor warttraining interessiert und bei einigen Camps mitgewirkt. Nach drei Jahren in Ida ho konnte ich mir dort dieses Standbein auf bauen und der diesjährige Sommer war der zweite mit einem umfangreichen GoalieCamp, bei dem 15 Talente sich weiterentwi ckeln konnten. Es ist für mich eine coole Art, im Sommer „im Spiel“ zu bleiben, eine Klei nigkeit dazuzuverdienen und mir ein Stand bein für die Zukunft aufzubauen.

Auch das Ziel Olympia 2026 von Jake klingt sehr spannend. Welche Gefühle kommen dabei auf? Hast du schon vor deinem ersten Italien-Engagement darüber nachgedacht?

Smith: Cortina stellt eine unglaubliche Chance dar und es wäre eine große Ehre für mich, dabei zu sein, wobei es natürlich schwer einzuschätzen ist, wo ich in drei einhalb Jahren stehen werde. Bereits mit 15 Jahren erhielt ich meinen italienischen Pass und nach Absprache mit meinem Agenten war mir sofort klar, dass ich mithelfen will, Eishockey in diesem wunderbaren Land wei terzubringen.

Was machen der Kalifornier und der Italo-Kanadier in Südtirol eigentlich abseits vom Eishockey?

Sholl: Meine Frau, mein Hund und ich sind gern draußen, zumeist zieht es uns auf die Hütten, wo auch der Genuss nicht zu kurz

kommt. Im Winter dann hinunter zu rodeln ist für uns überhaupt das Größte. Ich liebe die hiesige Landschaft.

Smith: Dies ist mein siebtes Jahr in Südti rol und auch meine Frau und ich sind viel draußen und große Entdecker, die fast schon überall waren. Bevor ich jetzt noch den wich tigen Dialekt lerne (lacht) werde ich im De zember mein Online-Studium abschließen. Ein großes Hobby von meiner Frau und mir ist zudem das Kochen, wobei ich hier noch viel zu lernen habe.

Welche Botschaften habt ihr noch für die Fans, die euch ja weiterhin in

großer Zahl unterstützen.

Sholl: Für mich ist Bruneck einer der bes ten Orte, um Eishockey zu spielen. Sogar letztes Jahr war die Stimmung trotz Covid gut und die Energie in der Arena ist einfach unglaublich. Ich spüre die Unterstützung und dies hilft in einer Phase der Auf und Abs besonders.

Smith: Es macht großen Spaß hier zu spie len und die Anfeuerungen zu hören. Ich hof fe, wir schaffen es weiter, geduldig und opti mistisch zu bleiben, dann können wir alles erreichen. Unsere Fans sind die besten der ganzen Liga. // Interview: Dominik Faller

67 SPORT & FREIZEIT PZ 24 | 8. DEZEMBER 2022
„Durchbeißen“ ist nicht nur beim aus Ontario stammenden Jake Smith angesagt… Tomas Sholl liebt es auch mal richtig spektakulär.
info@xalarm.it Brixen/Vahrn | Forch Str. 1 www.xalarm.it | Tel. 0472 802311 Brandmeldetechnik Alarmanlagen Videoüberwachung Zutrittskontrolle SICHER INTELLIGENT ZUVERLÄSSIG
HCP

KINDER AUF DIE PISTE

Südtirol ist ein Wintersportland – und je der Südtiroler sollte eine Wintersportart zu mindest einmal ausprobiert haben. Was frü her gang und gäbe war, das ist heute leider rückläufig. Die Landesberufskammer der Skilehrer und der Verband der Seilbahn unternehmer wiederholen heuer – nach zweijähriger Unterbrechung – eine bewähr te Initiative, um die Kinder wieder „auf die Piste“ zu bringen. An der letzten Ausgabe des „Kids Snow Day“ hatten sich über 3.500 Buben und Mädchen beteiligt.

Fünf- bis Zwölfjäh rige können am 17. Dezember 2022 im ganzen Land das Ski fahren, das Snow boarden und das Langlaufen ganz un verbindlich auspro bieren. Anmeldungen sind noch bis zum 12. Dezember 2022 online (www.kidssnowday. com) möglich.

Die Kraft vom Ozon

Auf Anfrage seitens vieler meiner Leser berichte ich gerne über die BlutTherapie mit Sauerstoff und Ozon. In letzter Zeit ist viel über diese Therapie berichtet worden, vor allem im Zu sammenhang mit dem gefürchteten Post-Covid-Syndrom.

In verschiedenen Studien ist nachgewie sen worden, dass diese Therapie zur Re generation helfen kann und dass sie vor allem die Erholungsphase in einer schwie rigen Zeit verkürzen kann. Dabei wird eine bestimmte Menge Blut über einen einfa chen venösen Zugang abgenommen und mit Ozon Sauerstoff in einem geschosse nen System behandelt und anschließend über den gleichen Zugang dem Patienten wieder zurückgegeben.

Das durch Sauerstoff und Ozon aktivierte Blut animiert unseren Körper zur schnel leren Regenerierung. Es handelt sich um eine nebenwirkungsfreie medikamentöse Therapie kaum Kontraindikationen oder allergische Reaktionen.

HAUPTVERANSTALTUNG AM KRONPLATZ

„Testimonials“ der Initiative sind übrigens die bekannten Südtiroler Skirennläufer Ni col Delago und Christof Innerhofer. Sie mei nen: „Solche Aktionen unterstützen wir sehr gerne, denn Wintersport macht gro ßen Spaß. Wir freuen uns, wenn Kindern die Möglichkeit geboten wird, das Skifahren,

das Snowboarden oder das Skilanglaufen kennen zu lernen.“

Ozon ist ein Gas (O3) mit einem charak teristischen knoblauchartigen Geruch, dessen Moleküle von 3 Sauerstoffatomen

Dabei soll der Spaß nicht zu kurz kommen – vor allem auch am Kronplatz, wo heuer die Hauptveranstaltung mit einem umfang reichen Rahmenprogramm über die Bühne geht. Die landesweite Initiative ergänzt die vielfältigen Bemühungen der einzelnen Ski gebiete und -verbunde. // um am 17. Dezember 2022 für Fünf- bis Zwölfjährige in den Südtiroler Wintersportgebieten Kostenlose Tageskarte, kostenloser Kurs, kostenlose Ausrüstung Hauptevent: am Kronplatz (mit tol lem Unterhaltungsprogramm) Anmeldung: www.kidssnowday.com (vom 28. November bis 12. Dezember 2022) Facebook: www.facebook.com/kidssnowday

SÜDTIROLER KINDERSCHNEETAG

gebildet werden. Es ist einer der leistungs stärksten Sterilisatoren der Natur. Es wirkt auf Bakterien, Viren und Pilze, was zu mehreren Heilungsaktionen führt. Dank der heilenden, antiseptischen, ent zündungshemmenden, immunstimu lierenden, schmerzlindernden und vas kularisierenden Eigenschaften, ist die Ozontherapie bei vielen Pathologien ge eignet.

Studien belegen, dass dieses Verfahren immunregulierend wirkt und den Stoff wechsel fördert. Die Therapie ist einfach in der Durchführung, die Wirkung dennoch deutlich spürbar. Bei korrekter Anwen dung dieser Therapie, gibt es keine Ne benwirkungen; außerdem verursacht sie keine allergische Reaktion.

68 SPORT & FREIZEIT PZ 24 | 8. DEZEMBER 2022
SNOW DAY AM 17. DEZEMBER
KIDS
Dr. Carlo Sacchi
Stadtgasse
Tel. +39 349 8180024 Anzeige
Dr.
Carlo Sacchi Facharzt für Orthopädie und Unfallchirurgie
43, I-39031 Bruneck (BZ) Vormerkungen

HUSARENRITT

AUF DER GRAN RISA

Der Skiweltcup der Herren kommt in der Vorweihnachtszeit wie schon seit 1985 nach Hochabtei/Alta Badia. Die beiden Rie senslaloms finden am Sonntag, 18. und Montag, 19. Dezember statt. Eine festliche Atmosphäre und eine Rückkehr zur Nor malität werden die zahlreichen Fans in den berühmten Hospi tality-Bereichen am Fuße der Gran Risa Piste empfangen. Ein trittskarten können online unter www.skiworldcup.it erworben werden. Toll sind auch die Trophäen, die erneut vom Künstler Daniele Basso gestaltet wurden. Sie sind den Themen „Einfachheit und Entschlossenheit“ gewidmet.

Der Audi-FIS-Ski weltcup in Hochab tei/Alta Badia findet nach zwei Jahren Pandemie wieder in seiner gewohn ten Form statt und darf sein Publikum erneut willkommen heißen! Am Sams tag, den 17. Dezem ber wird der Weltcup mit der Startnummernverlosung im Zentrum La Villas und mit einer Warm-up-Party mit Radio Holiday und Al bi DJ eröffnet. Anschließend steigt die große Ski-Weltcup-Party im Fire Tent der freiwilligen Feuerwehr von La Villa direkt im Zielge lände, während auch in der Leitner-VIP-Lounge die “Bollicine Par ty” stattfinden wird.

Am Sonntag, den 18. Dezember startet um 10:00 der Riesentorlauf der Herren auf der legendären Gran Risa Piste, auf der internatio nale Athleten um den Titel kämpfen werden. Zwischen dem ers ten und zweiten Durchgang dürfen sich Zuschauer*innen auf die spektakuläre Show der Frecce Tricolori freuen! Um die Rückkehr der zahlreichen Skifans zu feiern, wird im Anschluss des Rennens die After Party in Feuerwehrzelt stattfinden, wo DJ Double Dee für den richtigen Beat sorgen wird. Am Montag, den 19. Dezember wird die Weihnachtswoche mit einem weiteren Riesentorlauf der Herren eingeweiht, der das jährliche Event in Alta Badia abschließen wird.

GASTFREUNDSCHAFT IM ZIELBEREICH

Der Zielbereich wird am ganzen Wochenende mit Hospitalities aus gestattet, sodass jederzeit für ausreichend Speis und Trank gesorgt sein wird. Auf der großen Tribüne kommen Zuschauer*innen und Fans zusammen, um die Skirennfahrer anzufeuern und anschlie ßend im Fire Tent den Sieg ihrer Idole zu feiern. Die Red Bull Ener gy Lounge verleiht der Veranstaltung einen zusätzlichen Touch von Sportlichkeit, Adrenalin und Spannung. In der gegenüberliegenden Gran Risa Chalet werden hingegen die Ladinischen Traditionen, die Skikultur und die einheimische Kulinarik gewürdigt. Das Holzhaus heißt Gäste, Sponsoren und Partner des Alpine Ski World Cups will kommen. Auf der Dachterrasse des Hauptgebäudes findet die Leit ner VIP Lounge wieder ihren Platz und wird mit den Sterneköchen Gerhard Wieser **, Peter Girtler **, Theodor Falser * und Johann Lerchner, Träger des grünen Michelin Sterns, überzeugen. Eine per fekte Mischung aus Sport, Musik und Unterhaltung wird den Gäs ten, Zuschauern und Skifans ein unvergessliches Erlebnis bieten. Alta Badia freut sich auf ein zahlreiches Publikum! Infos und Ti ckets gibt es unter www.skiworldcup.it. // si

69 SPORT & FREIZEIT PZ 24 | 8. DEZEMBER 2022
FIS
37. SKIWELTCUPRENNEN IN HOCHABTEI/ALTA BADIA
AUDI
SKI WORLD CUP ALTA BADIA

Ein Resultat mit Schmackes

Parma war am 12. No vember 2022 Ausrichter der nationalen Mann schaftsmeisterschaften im Yo seikan Budo und das Organi sationsteam sowie die Stadt Parma als Gastgeber hatten für optimale Rahmenbedingungen gesorgt. Offiziell eröffnet wur den dann die Wettkämpfe in Anwesenheit des Sportasses sors der Gemeinde Parma und des nationalen Präsidenten des Yoseikan Budo-Fachverbandes. Nicht weniger als 82 Mann

Die Pustertaler Yoseikan-Budo-Jugendlichen bei der nationalen Staats meisterschaft im Mannschaftsbewerb in Parma. Links im Bild Meister Ro man Patuzzi.

schaften hatten sich für die Wettkämpfe angemeldet. Es standen zwei Disziplinen auf dem Programm: Zuerst wurde der Fechtkampf ausgetragen und anschließend waren die Teams beim Mehrkampf gefordert. Sowohl im Stockkampf als auch im Mehrkampf war das Niveau der Mannschaften durchwegs hochklassig, wobei fast immer starke und ausgeglichene Teams aufeinandertrafen, was zusätzlich für spannende Begegnungen sorgte. Nach sechsstündigem Kampf geschehen stand die Seniorenmannschaft des SSV Bruneck Yosei kan Budo & Fitness als absolute Sieger fest.

KÄMPFEN MIT VOLLEM EINSATZ

Bei den Senioren standen die Brunecker Christian Chirilá, Sonja Romano und Steffen Weiss – und zwar sowohl im Bewerb-Fecht kampf als auch im Mehrkampf – im Finale. Im Halbfinale hatten sie zuerst das Team aus Ardea (Latium) und dann die Mannschaft aus Rom (ASD Cittá Aperta Roma) besiegt. Die Finalkämpfe verlie fen sehr spannend und forderten von den Brunecker Yoseikan-Sport lern die letzten Reserven. War es im Fechtkampf noch ein hart um kämpfter Sieg, so war es beim Mehrkampf eine klare Sache für die Brunecker: Christian Chirilá punktete souverän im Fechtkampf und Sonja Romano gewann klar den Punktesieg im Freien Zweikampf. Sonja Romano war es dann auch, die mit ihrer Kata-Vorstellung –nämlich dem choreographischen Pflichtteil – den definitiven Sieg untermauerte. Nach mehreren Jahren gelang es nun dem Brunecker Verein wieder, den begehrten Mannschafttitel in die Rienzstadt zu holen. Die Freude ist bei dem siegreichen Team, beim Sektionslei ter Massimo Romano und dem technischen Leiter Roman Patuzzi, welche die Mannschaften professionell vorbereitet und begleitet haben, klarerweise groß. Mit ihnen freuen sich auch ihre Kollegin

70 SPORT & FREIZEIT PZ 24 | 8. DEZEMBER 2022
NATIONALE YOSEIKAN BUDO-MANNSCHAFTSMEISTERSCHAFTEN
des
bei den nationalen
Der
Niederdorf holte hingegen den nationalen Titel in der
FASHION & SPORTSWEAR Graben 9 | 39031 Bruneck | Tel. 0474 53 12 23 Via Micurà de Rue 49 | S. Cassiano | Tel. 0471 84 95 90 SUN 68 - CROCHÈ - KJUS - INVICTA - FRACOMINA JEANS KOCCA - LIU JO MEN - PUNTODODICI - FREEDOMDAYS
Die Sektion „Yoseikan Budo“
SSV Bruneck hat wieder einen absoluten Staatsmeistertitel
Yoseikan-Budo-Mannschaftsmeisterschaften in Parma geholt.
ASV
Juniorenkategorie.

nen und Kollegen der Sektion Yoseikan Budo sowie der SSV Bru neck mit seinem Präsidenten Marinoni Willy. Auch dem Niederdorfer Yoseikan Budo-Verein gelang es, einen Ti tel zu erringen, und zwar in der Junioren-Kategorie.

Das Junioren-Team des ASV Niederdorf Yoseikan Budo & Fitness mit Leart Raci, Simon Durnwalder und Paul Patzleiner setzte sich im Finale gegen das Team des SSV Bruneck mit Robin Palma, Ar thur Mayr und Samuel Bacher durch und sicherte sich somit in der Disziplin Fechtkampf den Titel. Die Brunecker hingegen holten sich im Mehrkampf-Bewerb mit Robin Palma und Arthur Mair den Sieg. Der ASV Niederdorf kam in der U16-Kategorie im Mehrkampf auf den 2. Platz und im Fechtkampf auf den 3. Platz Einen indirekten schönen Erfolg gab es auch für den SSV Taufers durch den Gewinn einer Bronzemedaille im Mehrkampf mit Paul Plaickner, welcher für den Verein Lana in Ausleihe kämpfte.

TOLLE RESULTATE EINGEFAHREN

Die jungen Wettkämpfer des Pustertales hatten sich bei den Staats meisterschaften einmal mehr von der besten Seite gezeigt und das Führungsgremium des Italienischen Verbandes Yoseikan Budo war voll des Lobes für ihre Leistungen.

Durch diese beeindruckenden Leistungen ist somit für die betref fenden Athleten der Weg für die Teilnahme am Internationalen Yo seikan Budo-Turnier frei. Der nationale Sportdirektor und der Head coach nominierten Cristian Chirilá, Sonja Romano, Robin Palma und Arthur Mayr vom SSV Bruneck sowie Bastian Niederkofler, Le art Raci, Paul Patzleiner und Simon Durnwalder vom ASV Nieder dorf sowie Paul Plaickner vom SSV Taufers. Mit anderen weiteren 40 Athleten aus dem italienischen Team werden diese Sportler beim Grand Prix Open in Frankreich in Lille am 10. Dezember dabei sein. Es ist das Highlight der heurigen Yoseikan Budo-Wettkampfsaison, und zu diesem Großereignis werden namhafte Athleten aus einer Reihe von Staaten erwartet. Wir sind überzeugt, dass unsere Athleten den Südtiroler Verband Yo seikan Budo würdig vertreten werden. Dafür bürgt der Kampfkunst experte Roman Patuzzi, der sich als Garant für das hohe Niveau des regionalen Yoseikan Budo auch international einen Namen ge macht hat.

Unsere jungen Wettkämpfer haben gezeigt, dass sie das Zeug dazu haben, in die Fußstapfen der legendären Wettkampfteams vom SSV Bruneck und vom ASV Niederdorf zu treten, die neben vielen Regio nal- und Italienmeistertiteln auch Weltmeistersiege gewannen. // jp

Deine Gemeinde baut den Weg in ihre Zukunft: Nachhaltige Lebensqualität für alle. Wohnen, arbeiten und lernen, wachsen und älter werden, sich bewegen, Natur und Landschaft erhalten und erleben. Es geht um dich.

Wende dich für die Teilnahme an deine Gemeinde. Mitdenken, mitreden, mitgestalten. Gemeinsam entstehen die besten Ideen.

71 SPORT & FREIZEIT PZ 24 | 8. DEZEMBER 2022
www.gemeindeentwicklungsprogramm.it Gemeindeentwicklungsprogramm AUTONOME PROVINZ BOZEN - SÜDTIROL PROVINCIA AUTONOMA DI BOLZANO - ALTO ADIGE PROVINZIA AUTONOMA DE BULSAN - SÜDTIROL
mit
Gestalte Zukunft

Die Besten der Besten kommen

Die Intercable Arena in Bruneck wird vom 15. bis 18. Dezember Austragungsort der offiziellen Italienmeisterschaften im Eiskunstlauf. Dem Brunecker PustericaClub ist es gelungen, diese hochkarätige Veranstaltung in die Rienzstadt zu holen.

Gastgeber der offiziellen Italienmeister schaften im Eiskunstlauf werden heuer zu sammen mit dem italienischen Verband für

Eissportarten, FISG, der Pusterice Club, der komplett ehrenamtlich geführte Eiskunst laufclub des Pustertales und die neue In tercable-Arena in Bruneck sein. Über die Zu sage freuen sich der Präsident des Vereins, Sandro Brunetti und seine Vorstandskolle gen sehr.

Es ist eine sportliche Veranstaltung mit sehr viel Prestige und eine wunderbare Gelegen heit, den Verein und die neue Intercable Are na einem breiten Publikum vorzustellen. Das Event ist unter den kompetenten italie nischen Zuschauern sehr bekannt und wird

deshalb auch auf Rai übertragen. Dort wer den in den verschiedenen Leistungsklassen Men, Women, Pairs und Dance, sowie auch in allen Juniorklassen, die italienischen Meister für 2023 gekürt, welche Italien dann international bei Wettkämpfen wie Europa meister- und Weltmeisterschaften, vertreten werden. Einige der Besten sind der amtie rende Meister der höchsten Leistungsklas se, der Meraner Daniel Grassl und die Boz nerin Anna Pezzetta, sowie die amtierende Meisterin der Damen, Lara Naki Gutmann aus Trient. // Barbara Rederlechner

DIE BEWERBE BEI FREIEM EINTRITT

Die Bewerbe beginnen am Donners tagabend mit den Junioren und en den am Sonntagabend mit den höchsten Leistungsklassen sowie den Siegerehrungen. Der genaue Zeitplan ist unter https://www.fisg.it/compe tition/?id=5899 einsehbar. Der Ein tritt ist frei, um eine freiwillige Spen de wird gebeten.

Der Verein freut sich sehr, alles was im Eissport Rang und Namen hat, be grüßen zu können und hofft auch auf ein reges Interesse der Bevölkerung.

72
& FREIZEIT PZ 24 | 8. DEZEMBER 2022
SPORT
ITALIENMEISTERSCHAFT IM EISKUNSTLAUF IN DER INTERCABLE-ARENA
// br
Lara Naki Gutmann Lara Naki Gutmann Daniel Grassl

Ausgezeichnete Leistungen haben vor kurzem die Nachwuchs schützen bei den VSS/Landesmeisterschaften im Schießen er zielt. Die Nachwuchsschützen aus St. Lorenzen und Gsies wa ren großartig und holten gleich mehrere Landesmeistertitel.

Es waren starke Leistungen, die Südtirols Nachwuchsschützen bei der diesjährigen VSS/Raiffeisen Landesmeisterschaft zeigten. Ins gesamt 97 Jungschützen traten an, um ihr Können unter Beweis zu stellen. „Die Schützengilden in Südtirol leisten großartige Arbeit“, lobte VSS-Obmann Günther Andergassen. Geschossen wurde in Au er mit dem Luftgewehr und der Luftpistole, unterteilt in die Katego rien Schüler I, Schüler II und Zöglinge.

Die jüngsten Schützen (Schüler I) schossen dabei noch mit der Stütze, in der Kategorie Schüler II können die Nachwuchsathle ten entscheiden, ob sie mit beweglicher Stütze oder ohne Stütze schießen wollen. Die Zöglinge schießen hingegen immer frei. Me daillen gingen an Schützen von fünf verschiedenen Gilden, wobei die Nachwuchsathleten aus St. Lorenzen mit zwei Landesmeisterti teln überaus erfolgreich waren. Einer der begehrten Titel ging auch nach Pichl-Gsies. Die gesamten Resultate gibt es im Internet unter www.vss.bz.it/sportprogramme/sportschiessen/ergebnisse. // rewe

AESTHETIC MEDICINE

NEU dauerhaft

SCHWEISSFREI

GERUCHSFREI

Endermologie/ LPG, Cellulite-Behandlung, Gewebsstraffung an Oberarmen, Hals und Dekolleté, Laser und Blitzlicht, Nagelpilz- Behandlung mit Laser, Soft Surgery, Schlupflider- und Krampfader Behandlung ohne Operation, Carboxy-Therapie-Zentrum, Radiofrequenz, Filler, Botox, Faden-Lifting, Natürliche ästhetische Medizin, Chemische Peelings, Jet Peel, Intimchirurgie und Genitalverjüngung, Fettreduktion ambulant, Fettaufbau Gesicht.

DR. PETER LENTSCH

Internationaler Universitärer Master Level II in Ästhetischer Medizin Facharzt in Gynäkologie und Geburtshilfe

BRUNECK Josef-Seeber-Straße 14 Tel. 366 4382864

BOZEN Praxis Dr. Lentsch Tel. 0471 974419 Sparkassenstraße 8 Tel. 366 4382864 www.bodyline-by-dr-lentsch.com info@bodyline-by-dr-lentsch.com

73 SPORT & FREIZEIT PZ 24 | 8. DEZEMBER 2022
DIE NACHWUCHSSCHÜTZEN PUNKTEN TREFFSICHER INS ZIEL Die Siegesfeier bei den Zöglingen u. a. mit Landesmeister Rafael Messner. Schüler I: Luftgewehr: Valentin Messner (St. Lorenzen) – 301,90 Ringe Schüler II: Luftgewehr frei: Jakob Paul Hintner (Pichl-Gsies) –291,80 Ringe Zöglinge: Luftpistole: Rafael Messner (St. Lorenzen) – 465,00 Ringe // DIE PUSTERTALER SCHIESSSPORT-LANDESMEISTER

Große Strahlkraft für die ganze Region

Im Dezember 2009 feierte der Skicross Weltcup in Innichen seine Premiere. Seither wurden in der Region 3 Zinnen Dolomiten insgesamt 42 Rennen, jeweils 21 bei Frauen und 21 bei Männern, ausgetragen. Die heurigen Rennen werden am 21. und 22. Dezember 2022 stattfinden.

Der Skicross-Weltcup hat für die Do lomitenregion 3 Zinnen eine sehr wichtige Bedeutung und eine enor me Strahlkraft. „Dank der schönen Aufnah men unserer phantastischen Bergwelt und der perfekt präparierten Pisten am Haunold können wir eine Vielzahl von Wintersport lern anlocken, die dann vor allem in der Nebensaison anreisen und neben dem Ski cross-Berg Haunold auch das gesamte Ski gebiet 3 Zinnen Dolomiten besuchen. Diese Werbung ist für unsere Destination äußerst wichtig“, so Helmuth Senfter, Präsident des Organisationskomitees. Was den technischen Aspekt betrifft, vertrau en die Veranstalter gemeinsam mit dem inter nationalen Skiverband auf die langjährigen Partner. Gleich vier Südtiroler Topunterneh men sind im gesamten Ablauf eng eingebun den – vom Transport, über die Beschneiung, weiter zur Pistenpräparierung bis hin zum Bau der Strecke. Das technische Know-How von F-Tech, Prinoth, Leitner und Technoalpin fließt somit direkt in den Spitzensport.

RENNEN AM 21. UND 22. DEZEMBER

Nach einem Trainingstag am 19. Dezember werden am Dienstag, 20. Dezember die bei den Qualifikationen ausgetragen. Am Mitt woch, 21. und Donnerstag, 22. Dezember geht es in der Dolomitenregion 3 Zinnen ab 12:00 Uhr um den Tagessieg, bzw. um wich tige Zähler für die Weltcup-Gesamtwertung.

// Gab

DAS PROGRAMM

Montag, 19.12.2022 11:00 – 14.00 Training Dienstag, 20.12.2022 10.45 – 12.15 Qualifikation 1 Herren 12.15 – 13.00 Qualifikation 1 Frauen 13.15 – 14.30 Qualifikation 2 Herren 14.30 – 15.15 Qualifikation 2 Frauen 18:00 Offizielle Startnummervergabe am Weihnachtsmarkt in Innichen Mittwoch, 21.12.2022

10.15 – 11.00 Training der Finalisten 12.00 – 13.20 Finale 18:00 Preisverteilung am Weihnachtsmarkt in Innichen

Donnerstag, 22.12.2022 10.15 – 11.00 Training der Finalisten 12.00 – 13.20 Finale 12.30 Preisverteilung im Zielgelände //

74 SPORT & FREIZEIT PZ 24 | 8. DEZEMBER 2022
SKICROSS-WELTCUP IN INNICHEN
Alle Fotos: Wisthaler
75 PZ 24 | 8. DEZEMBER 2022 TAUFERER AHRNTAL 76 >> Marxegger Alm 76 >> Pircheralm 77 >> Innerhofer Alm 77 >> Riesa-Alm 78 >> Schwarzensteinhütte 78 >> Schwarzbachalm 79 >> Bizat Hütte 79 >> Jägerhütte UNTERES PUSTERTAL 80 >> Pertinger Alm 80 >> Großberghütte 81 >> Bergrestaurant Jochtal 82 >> Starkenfeldhütte 82 >> Kreuzwiesen Alm HOCHPUSTERTAL _ ALTA PUSTERIA 83 >> Taistner Vorderalm 83 >> Almgasthof Obersee 84 >> Rudihütte 84 >> Plätzwiese Hütte INHALT Hüttenzauber HÜTTEN ZAUBER VILLNÖSS 85 >> Geisleralm WIPPTAL 86 >> Prantneralm 86 >> Allriss Alm

HÜTTEN ZAUBER

Marxegger Alm

Ein Riesen-Rodelspaß auf einer perfekt prä parierten Piste, was will man mehr?

Komm auch du auf die Marxeggeralm und lasse dir diesen Spaß nicht entgehen. Ob zu Fuß oder mit den Skiern, nach dem gemüt lichen Aufstieg (ca. eine Stunde) verwöh nen wir sie mit lokalen, hausgemachten Spezialitäten, entweder auf der Sonnen terrasse oder in der warmen gemütlichen Stube. Danach noch auf ein „Ratschale“ mit den Hüttenwirten Gregor und Kathrin.

Zur Pircheralm - Rodelbahn Tristenbach - eine Erfolgsgeschichte

NATUR PUR - WELLNESS FÜR DIE SEELE

Eine Tages- oder Nachtwanderung zur Pircheralm im Tristenbach in Weißenbach im Ahrntal hat schon so manche unruhige Seele wieder ins Gleichgewicht ge bracht. Nach dem gemütlichen Aufstieg erwarten Sie oben ein herrliches Naturpanorama. Die Pircheralm bie tet in ihren drei gemütlichen Stibilan und auf der Son nenterrasse einheimische Köstlichkeiten. Nach einer zünftigen Stärkung leihen Sie sich beim Hüttenwirt der Pircher Alm eine Rodel aus und rodeln, langsam oder schneller, ganz nach Ihrem eigenen Rhythmus, die 4 km zu Tale. Geöffnet vom 05.12 bis Ende März, 9.00 Uhr bis Abends Hüttenschluss. //

76 PZ 24 | 8. DEZEMBER 2022
Fam. Hintner Tel: +39 349 8704902
Schnell noch eine Rodel ausleihen und schon kann der Rodelspaß für klein und groß losgehen. Abends auch beleuchtet.
//
Wir verwöhnen
Sie
gerne mit unserer durchgehend warmen Küche und dem schönen Bergpanorama auf unserer Sonnenterrasse. Ideal auch für Nachtrodeln auf der beleuchteten Rodelbahn Rodeln auch zum Ausleihen. Auf Vorbestellung erfüllen wir auch gerne besondere Wünsche.

WINTERPARADIES

Weißenbach - Tristenbach > Rodelspaß für die ganze Familie > fantastische Skitouren für Sportbegeisterte > herrliche Schneeschuhwanderungen für Naturliebhaber

Innerhofer Alm

idealer Ausgangspunkt und beliebte Hütteneinkehr

täglich ab 11.00 Uhr: schmackhafte Gerichte der heimischen Küche abendliche Feier mit Mondschein-Rodelfahrt und Rodelverleih

täglich geöffnet: von Anfang Dezember 2022 bis Ostern 2023

Informationen und Reservierungen: Leiter Herbert - Tel. 347 1392452

Die Riesa-Alm in Weißenbach

Ein Winterwandererlebnis der besonderen Art – für die ganze Familie.

Die Kräuteralm und Jausenstation auf 1.480 m am Anfang des Mitterbachtales in Weißenbach erreicht man über eine leichte Wanderung von ca. 30 min Geh zeit auf der Sonnenseite des Ahrntals. Die Riesa-Alm ist ein ideales Wanderziel mit einer Sonnenterrasse, vor allem für Familien und Senioren, und geschätzter Treffpunkt für Firmen- und Familienfeiern. Bekannt sind auch die schmackhaft zubereiteten Spezialitäten mit frischen Kräu tern. Die Jausenstation ist im Winter vom 03. Dezember bis 14. April 2023 geöffnet! Mittwochs Ruhetag, außer in der Hochsaison.

Erreichbar ab der Grundschule in Weißenbach oder über den prä parierten Winterwanderweg NR16a von der Schnaidaleachn über den Bewegungsweg. //

Kräuteralm Riesa

77 PZ 24 | 8. DEZEMBER 2022
Ruhetag: Mittwoch In Hochsaison: KEIN Ruhetag Josef Unteregelsbacher · Tel: +39 349 5288645 E-Mail: josef.unteregelsbacher@live.de
HÜTTEN
ZAUBER
Weißenbach ganztägig warme Küche Öffnungszeiten: 03.12.bis14.04.2023

HÜTTEN ZAUBER

Die neue Schwarzensteinhütte in St. Johann/Ahrntal Sunnsatweg

Die neue Schwarzensteinhütte befindet sich am Trippachsattel in einer Meereshöhe von ca. 3.026 Meter unmittelbar zur Staatsgrenze mit Österreich. Der eigentliche Luxus der neuen Schwarzenstein hütte ist der Ausblick, der von den Zillertaler Alpen über die hohen Tauern und die Rieserfernergruppe bis hin zu den Dolomitengipfeln der Marmolata reicht.

SIE ERREICHEN DIE HÜTTE ÜBER VERSCHIEDENE WEGE: - vom Rotbachtal und vom Trippbachtal in St.Johann - von der Greizerhütte und der Berliner Hütte im Zillertal - von der Chemnitzerhütte in Lappach Mit Margit und ihrem Hüttenteam und bei einem entspannten Es sen und einem guten Gläschen kann das Hüttenleben genossen werden. In der Stube fühlt man sich wie in der Kommandobrücke eines Ozeanriesen.

Die Hütte ist der perfekte Aus gangspunkt für anspruchs volle und auch leichtere Gletschertouren und Gipfeler lebnisse und sie ist ein wich tiger Stützpunkt am Über gang ins Zillertal. Von hier erreichen Sie den Schwarz enstein 3.369 m; die Westliche Floitenspitz 3.195 m; den Großen Löffler 3.378 m oder den Großen Mörchner 3.285 m. Winteröffnung: ca. Anfang März bis Mitte April (Die Zeiten können je nach Bedingungen abweichen oder angepasst werden). Reservierugen telefonisch oder per E-Mail: Tel. 0474 646584, info@schwarzensteinhuette.com //

Die höchstgelegende Hütte in den Zillertaler Alpen auf 3.026 M Höhe Margit Ainhauser · Tel. 0474 646584 · www.schwarzensteinhuette.com

Schwarzbach Alm

Tolle Naturrodelbahn in der Ferienregion Kronplatz in den Zillerta ler Alpen in Südtirol: Auf der Rodelbahn Schwarzbachalm-Weißen bach im Ahrntal genießen Wintersportler rasantes Abfahrtsvergnü gen durch eine herrliche Winterlandschaft.

LUST AUF EINE RICHTIG TOLLE HÜTTENGAUDI ODER HÜTTENSAUNA?

Bis zu 80 Personen können in der Hütte „kräftig Gas geben“, oder ein fach die noch richtige Hüttenatmosphäre genießen oder gemütlich sich in der Sauna erholen! Nach gelungenen Hüttenabend oder Sau naabend ist im Winter der Almweg auf Wunsch für Sie beleuchtet,falls Sie mit Ihren Freunden etwas intensiver feiern möchten. Start der Rodelbahn ist beim Parkplatz Innerbach (1.267 m). Von dort führt die rund 1 km lange Naturbahn auf einer Forststraße bis

zur gemütlichen Familienalm Schwarzbach (1.385 m). Abends nur auf Vorbestellung. Tel: +39 391 33 21 903. Bis 10. April 2023 geöffnet.

WEIHNACHTSMARKT AUF DER SCHWARZBACHALM am Wochenende Glühweinstand, selbstgemachte Geschenkideen für einen wohltätigen Zweck.

Roland Aufderklamm

Tel. Hütte: +39 391 3321903 www.schwarzbachalm.com

Ruhetag: Donnerstag (außer Hochsaison wie Weihnachten, Fasching & Ostern)

78 PZ 24 | 8. DEZEMBER 2022
//

Bizat Hütte am Sunnsatweg

umrahmte Winterlandschaft.

Am besten er reicht man die Hütte von St. Johann ausge hend vom neu en Parkplatz, über einen 1520 minütigen

Fußweg, der für die ganze Familie ge eignet ist. Sobald das sonni ge, windgeschütz te Ziel erreicht ist, können sie sich, in den gemütli chen Stuben oder auf der Sonnenterrasse bei einem heißen Ge tränk aufwärmen und sich an unseren raffinierten hausgemachten Spezialitäten erfreuen.

Wir sind vom 25.Dezember bis 15.Jänner und auch in den Faschings ferien für Sie geöffnet.

Herbert und sein Team freuen sich auf Euch. Mehr Infos zu Öffnungszeiten: über Facebook, Instagram & WhatsApp. //

Start: Parkplatz in Kasern auf einer Höhe von 1600 m

Von dort gelangt man über die für den Ver kehr gesperrte Landesstraße oder über die verschneite Langlaufloipe zur Hl.-Geist-Kir che.

Die Knappenkirche der einstigen Bergwerks leute von Prettau gilt als Kleinod aus dem 15.Jahrhundert und zählt zu den schönsten Wallfahrtskirchen in Südtirol.

Nach kurzer Einkehr und Besinnung im Kirchlein mit dem sagenumwobenen, durch

schossenen Kreuz können Sie sich nach kurzem Fußweg in der antiken Jägerhütte stärken. Gastgeber Tom und sein Team verwöhnen Sie mit all zu leckeren Speisen. Auch Abends nach Anfrage für Sie offen.

Über den perfekt winterlich-präpa rierten Wanderweg gelangen Sie in ca. 20 Minuten zur Hütte. Zur lin ken und rechten die Langlaufloipe für unsere Sportler. Die Hütte gilt auch als Ausgangs- oder Schluss punkt für Hochskitouren wie Rötspitze, Dreiherrnspitze, Birnlücken hütte oder zum nördlichsten Punkt Italiens dem Klockerkarkopf („Vetta d`Italia“).

Man sollte jedoch immer die aktuelle Wetterlage berücksichtigen. //

79 PZ 24 | 8. DEZEMBER 2022
Malga Jägerhütte • Trinksteinalm Kasern/Casere • Tel. 348 3651402 Herzlich Willkommmen in der Natur! Benvenuti nella natura!
Jägerhütte - Von Kasern nach Heilig Geist Willkommen in der Bizat Hütte, dem Winterparadies in
Johann im Ahrntal. Genießen Sie die Stille der Natur und erleben Sie bei
die romantisch
Die
St.
einem Spazier gang oder einer Schneeschuhwanderung
verschnei te und von Fichtenwäldern

Auf 1861m Meereshöhe in den Pfunderer Bergen gelegen, zählt sie im Winter wie auch im Sommer bei Jung und Alt zu den beliebten Ausflugszielen.

Für jene die eine Skitour unter nehmen, gerne rodeln oder wandern, ist die Pertingeralm eine empfehlenswerte Einkehr.

Bei herrlichem Ausblick auf der Sonnenterrasse, oder einer ge mütlichen Rast in der rustika len Stube, werden traditionel le Gerichte der einheimischen Küche und köstliche, hausge machte Kuchen serviert.

Pertinger Alm

Lageplan: erreichbar in 1 Std. vom eigenen, großen Parkplatz ober halb von Terenten über einen Forstweg auf das sonnige Hochpla teau am Fuße des Terner Jöchl. Öffnungszeiten im Winter: über Weihnachten täglich. In der Folge jeweils am Wochenende bis Mitte März 2023. //

Das ideale Jauseplatzl: im Winter zum Rodeln oder Tourengehen. Gehzeit: vom Parkplatz bis zur Hütte ca. 1 h - auch leicht mit dem Kinderwagen zu erreichen

Wir verwöhnen Sie mit Tiroler Spezialitäten und hausgemachten Kuchen! Unseren kleinen Gästen bieten wir einen Kinderspielplatz sowie Ponys und Esel zum Streicheln! Wir freuen uns auf Euer Kommen Familie Passler Tel. 348/90 540 28 · Fax: 0472/54 62 97 · Email: info@pertingeralm.it · www.pertingeralm.it

Das Altfasstal - ein Wintermärchen

Das Altfasstal in Meransen, eines der schönsten Almtäler Südtirols, lädt auch im Winter zu herrlichen Wanderungen ein. Wandern Sie den gemütlichen Forstweg entlang bis Sie nach rund 30 Minuten die Großberghütte erreichen. Genießen Sie typische Südtiroler Spezialitäten und hausgemachte Kuchen – entweder in den gemütlichen Stuben der Großberghütte oder auf der Sonnenterrasse. Nach einer Stärkung führt Sie die Wanderung weiter Richtung Talschluss. Überqueren Sie die Brücke Felderalm und wan dern Sie über den Weg Nr. 16 zurück zum Aus gangspunkt. Für die Rundwanderung benötigen Sie etwa 2

Stunden. Der Fußweg durch die wildromantische Winterlandschaft eignet sich auch für eine Wanderung mit Kindern, älteren Menschen oder mit dem Vierbeiner.

Geöffnet täglich vom 15.12.2022 bis 10.04.2023.

80 PZ 24 | 8. DEZEMBER 2022
HÜTTEN ZAUBER
Die Pertinger Alm bei Terenten Tel. +39 0472 520 277 | info@grossberghuette.com | www.grossberghuette.com | Geöffnet: 15.12.2022 - 10.04.2023 WARME KÜCHE 11.00-17.00 UHR Abends nur auf Vorbestellung RESERVIERUNG T +39 0472 520 277 FLEISCH- ODER SCHNEEIGLOO & RUTSCHBAHNEN extra für Kinder präpariert KÄSEFONDUE Freitag abends Dienstag abends SURPRISE MENU & Á LA CARTE
//

Kreuzwiesen Alm

Winterurlaub auf der Lüsner Alm

1925 m

DIE KREUZWIESENHÜTTE IST DER IDEALE ORT FÜR GENIESSER!

Die Lüsner Alm ist wie geschaffen für ausgedehnte Winterwande rungen - soweit das Auge und Ihre Ausdauer reichen. Auch zum Langlaufen oder Skitourengehen bietet die Lüsner Alm sanfte Aus sichtskuppen und tolle Tiefschnee-Erlebnisse. Eine Abfahrt ist weiters mit der Rodel auf ca. 3,5 km Länge bis zum Parkplatz Oberflitt möglich. Vor Ort verwöhnen wir Sie mit typischen Almgerichten. Ein Kurzurlaub in unseren urigen Zimmern sowie ein Sonnenuntergang auf knapp 2000 m in der holzbefeuerten Sauna sind ein unvergessliches Erlebnis.

Geöffnet: Weihnachten: 26.12.22 – 09.01.23; Fasching: 18.02.23 –27.02.23; sowie an den Wochenenden bis Anfang März: Samstag, Sonntag & Montag. //

82 PZ 24 | 8. DEZEMBER 2022 HÜTTEN ZAUBER Familie Hinteregger Herbert | Tel. 333 7484880 | info@kreuzwiesenalm.com | www.kreuzwiesenalm.com

DIESER WEG IST EIN KLASSIKER UNTER DEN AUSFLUGSZIELEN IM PUSTERTAL.

Eingebettet in die Wälder am Fuße des Lutterkopfs, ist die Wande rung besonders für Familien sehr lohnend. Das Ziel ist die Taistner Vorderalm (2.012 m ü.d.M.), die sich in den westlichen Villgratner Bergen zwischen dem Antholzer und dem Gsieser Tal befindet. In Taisten an gekommen, folgen sie den Hinweis schildern zum Berggasthaus Mudler. Der Ausgangspunkt befindet sich auf dem etwas darober gelegenen, gro

ßen Parkplatz. Der planierte Forstweg Nr. 38A steigt konstant, aber nur mäßig steil an. So gelangen sie fast mühelos nach 1,½ Stun den zur Taistner Vorderalm. Hier erwartet sie Felix und sein Team mit einer warmen Mahlzeit, echter Tiroler Küche und vielen Schmakerln. Die Rückfahrt mit der Rodel gestaltet sich einfach und macht Spaß (Helm nicht vergessen!), und ist auch für ungeübte Rodler durchaus machbar. //

SCHNEEBEDECKTE BERGGIPFEL UND MAJESTÄTISCHES

PANORAMA

Unsere Ruheoase in den Bergen abseits von Lärm und den rau schenden Alltag.

Für alle Skitouren-Liebhaber, Schneeschuhwanderer und Langlauf–Verliebte bietet der Staller Sattel das ideale Winterparadies. Der ru hige Gebirgssee und die unberührte Bergnatur laden zu endlosen Spaziergängen, Schneeschuhwanderungen oder Skitouren ein. Na türlich liegt die Langlaufloipe auch direkt vor unserer Haustür. Und wenn es draußen so richtig kalt und eisig wird, lädt unser Gasthaus

mit idealen Platz im Winter garten oder in unserer Stu ben zum Verweilen und Ge nießen ein.

Die ausgezeichnete Küche mit direkter Lage am Ufer des Obersees sind für Ruhe suchende und aktive Win tersportler ein einmaliges Wintererlebnis.

Schneeschuhwander –Langlaufen –SkitourParadies Staller Sattel

83 PZ 24 | 8. DEZEMBER 2022
// Direkt am Staller Sattel Öffnungszeiten: Mitte Dezember bis Ende Oktober Montag Ruhetag (Ausgenommen vom 24.12.22 – 08.01.23) www.alpengasthaus-obersee.com Almgasthof Obersee 2020 m direkt am Staller Sattel Felix und sein Team freuen sich auf Sie! Tel. 347 5939361 Öffnungszeiten: Mitte Dezember bis Ende März | Ruhetag: Montag
VorderalmWinterweg und Rodelbahn
Taistner

RUDI HÜTTE - BAR & RESTAURANT in Sexten

Besuchen Sie uns in der Rudi Hütte und genießen Sie die wunder schöne Aussicht und das gute Essen.

Wir servieren Tiroler Spezialitäten, Wild- und Pilzgerichte sowie von der Chefin selbst gebackene Kuchen. Im Winter finden Sie gleich neben der Ru di Hütte den Einstieg in die 5km lange Erlebnisrodelbahn. Der Treffpunkt für Skifahrer mit viel Stimmung und Gau di. Direkt an der Bergstation der Um laufbahn Rotwand. //

Öffnungszeiten:

Dezember bis Ostern, Juni bis Oktober

Familie Rudi Egarter | I-39030 Sexten Tel.: +39/0474/710436 oder +39/0474/712023 Mobil: +39/347/2847714 info@floralp.biz | www.rudihuette.it |

Berggasthof Plätzwiese

Abseits vom Skizirkus und Rummel haben Langläufer, Schneeschuh wanderer und Skitourengeher hier ein Paradies gefunden, denn die unberührte Landschaft auf der Plätzwiese bietet nicht nur endlos erscheinende Skitouren und Schneeschuh Wandergebiete in jeder Schwierigkeit, sondern auch eine 6 km lange Langlaufloipe!

Der Blick geht weit – vom Cristallo Massiv bis zur Hohen Gaisl. Ursprüng lichkeit und Natürlichkeit prägen die Landschaft, hier auf 2000 m Höhe. Und mittendrin im UNESCO Weltnaturerbe der Dolomiten: unser Berggasthof Plätzwiese.

Der Treffpunkt für Sonnengenießer, Naturliebhaber, Ruhesuchende und all jenen, die dem Duft nach leckeren Tiroler- und Italienischen Spezialitäten und hausgemachten Kuchen gefolgt sind … Öffnungszeiten: vom 03.12.2022 bis ca. 23.04.2023 von 8 bis 17 Uhr, außer Montag Ruhetag! //

84 PZ 24 | 8. DEZEMBER 2022
HÜTTEN ZAUBER
Traditionelle Südtiroler Küche wie z.B. hausgemachte Schlutzkrapfen, Speckknödel mit Rindsgulasch oder Kaiserschmarrn und eine Auswahl hausgemachter Kuchen.

Die Geisleralm im

Villnöss

Das Rodelvergnügen der Extraklasse… ! Das ist pures Rodel- und Wandervergnügen für die ganze Familie! 6 km Rodelbahn (Rodeln können ausgeliehen werden).

DIE WINTERWANDERALM AM FUSSE DER GEISLER!

Gemütliche Wanderung vom Parkplatz Zanser Alm über den Adolf Munkelweg zur Geisleralm und zurück über die Duselalm zur Zanser Alm. Bei Sonnenschein auf der Terrasse zu sitzen und die Schnee landschaft und die beeindruckende Kulisse der Geislerspitzen zu bewundern - ein Wintertraum.

RAFFINIERT-TYPISCHE ALMKÜCHE

Kulinarische Highligths mit lokalen und einheimischen und teils sel ber gemachten Produkten.

85 PZ 24 | 8. DEZEMBER 2022
HIGHLIGHTS: An Vollmondtagen haben wir auch abends zum Mondscheinrodeln für Sie geöffnet - wir bitten um eine Reservierung Jeden Samstag-Abend im Winter auf Vorbestellung geöffnet, ideal für Vereins- und Firmenausflüge, Geburtstagsfeiern und Feiern jeder Art. Weitere Infos auf unserer Homepage: www.geisleralm.com // Geisleralm - Villnösser Tal Tel. 333 756 90 29 & 339 604 46 85 www.geisleralm.com - info@geisleralm.com Geöffnet: Dezember bis Ende März Ruhetage ab dem 7.Jänner: Dienstag und Mittwoch (Weihnachten / Silvester und in der Faschingswoche durchgehend geöffnet) Urig und echt ...

HÜTTEN ZAUBER

Prantner Alm im Pfitschertal

Die Prantner Alm liegt hochro mantisch zwischen dem Wipptal und dem Pfitschertal mit einem wunderbaren Aussichtspano rama in die südlichen Stubaier Alpen, das Pflerschtal und die nördlichen Sarntaler Alpen. Sie ist eines der beliebten ganzjähri gen Ausflugsziele ganz nahe der Stadt Sterzing und somit recht einfach und schnell zu erreichen. Die ca. 5 km lange Rodelbahn wird perfekt in Schuss gehalten. Die hauseigenen Leihrodeln, wer

den gerne gegen eine kleine Ge bühr den Besuchern nach einem sehr leckeren Essen in der Hütte und einem lustigen Plausch, ver liehen und können dann am Ro delbahnende abgestellt werden.

Lage: Im Pfitschertal in der Nähe von Sterzing mit Ausgangspunkt Schmuders am Ende der Rodelbahn , ca.1 km vom Braunhof entfernt. Länge: 3700 m mit Gehzeit von 1,5 Stunden mit einem Höhenunter schied von 291 m. Familientauglich? Ja, der leichte Aufstieg auf dem breiten Forstweg ist für Kinder leicht zu schaffen. Außerdem werden die Kinder bei der Abfahrt mit der Rodel sehr viel Spaß haben.

Öffnungszeiten: 08.12.2022 bis 19.03.2023, Dienstag Ruhetag (außer in den Ferien) //

Allriss Alm in Pflersch

Diese schöne Winterwanderung führt durch die ver schneiten Wälder des Pflerschtals und endet mit einer lustigen, nicht allzu anspruchsvollen Rodelpartie.

Am Ortseingang von Innerpflersch, 12 km von der Auto bahnausfahrt Gossensass, parken Sie Ihr Auto und starten die Winterwanderung auf der Forststraße, die mit dem Schild „Allriss Alm“ markiert ist. Im Winter verwandelt sich die Straße in eine Rodelbahn, die durch die schneebe deckten Wälder auf der schattigen Seite des Pflerschtals bergauf führt.

Die Piste - auch für Kinder und nicht allzu erfahrene Rodler geeignethat die richtige Neigung, um Spaß zu haben, ohne zu viel zu riskieren.

So wird die Rückkehr zum Ausgangspunkt das Highlight eines schönen Wintertages im oberen Eisacktal.

Auf der Allrisshütte begrüßt Sie die Familie des ehemaligen Italienischen Skirennläufers Patrick Staudacher (Weltmeister im Super-G in Åre 2007). //

Tel. 349 2648358 info@ferienhaus-staudacher.com

Öffnungszeiten

Mitte Dezember bis Ende März. Montags Ruhetag Nachtrodeln: Dienstag, Donnerstag und Freitag KEIN Rodelverleih

86 PZ 24 | 8. DEZEMBER 2022
1534
m
87 SERVICE PZ 24 | 8. DEZEMBER 2022 Lösungen auf Seite 94 1 2 3
CAROM_PZ_Kreuzwortraetsel_Dezember_C_DEF_221128.indd 1 28.11.22 11:01
KAFFEOLOGISCHE GESCHENKIDEE. Genussvolles aus der Kaffeerösterei Caroma: Kaffeeraritäten mit ganz besonderem Geschmacksprofil, schonend geröstet in Völs am Schlern. Die perfekte Geschenkidee für alle Kaffeeliebhaber:innen. CAROMA Kaffee-Schaurösterei . Völs . www.caroma.info

Kinder-Rätselspaß mit PZ-Pezi Kinder-Rätselspaß mit PZ-Pezi

Basteltipp:

Deko - Schneeflocken fürs Fenster

Mit den Schneeflocken kann man eine schöne Winter stimmung im Haus erzeugen.

Dazu braucht es nicht viel: 1 Schere, ein Bleistift Weißes, quadratische Papier (Größe nach Belieben) ein Fischerdraht

Und so geht es: Das Papier nach der Vorlage falzen. Dann das Schnee flocken-Muster mit dem Bleistift aufzeichnen und dann der Linie nach ausschneiden. Mit dem Auffalten ent steht die schöne Schneeflocke.

Die Flocken können dann direkt ans Fenster befestigt werden oder man kann die am Fischerdraht aufziehen und aufgehängt... Lasst eure Kreativität freien Lauf!

Finde in jedem Kasten, was nicht dazu passt!

Wo ist der Skihelm?

Gustav soll eigentlich beim Skirennen starten. Aber wo ist sein Helm? Kannst du ihm helfen, ihn zu suchen?

I PZ Lösungen auf Seite 94
Warum sieht ein Eskimo am helllichten Tag seine Hand vor Augen nicht? Weil er Handschuhe an hat. Schneemann bauen Finde die 10 Unterschiede!
Was passt nicht zum Schnee & Winter?
3.) 4.) 1.) 2.)

Die nächste Ausgabe erscheint am: 20.12.2022

KLEINANZEIGER

AUTO & ZUBEHÖR

Willst Du Dein Auto verkaufen? Fairer Preis, sofortige Bezahlung im Autohaus Moser Jetzt unverbindlich bewerten: www.dasautohaus.it

Zu verkaufen: Bürosessel mit Armlehne, CD-Ständer 103cm hoch, 200 CD‘s verschiedene Musikrichtung, Kleiderständer 175cm hoch, 3teiliger Designer glastisch, antike Nähmaschine Tel. 0472 970074 (Essenszeiten)

Zu verkaufen: Rattan-und Schaukelstühle, Diverse Klang schalen, 2 Dia-Projektoren

Leitz Pradovit Color2, 2 Objektive Leitz Elmarit-P-CF 1:2,8 150mm, 2 Schutzdeckel, 2 Köcher f. Ob jektive. Tel. 0472 970074 (Essenszeiten)

ALLES MÖGLICHE

Gais: Steirische Ziehharmonika, 4-reihig in sehr gutem Zustand zu verkaufen. Tel. 371 3327381

Zu verkaufen: diverse Tische, Jugendstil Kommode, Ski Marke Blizzard 120cm mit Markea Bin dung, Ski Marke Kneisel 160cm mit Markea Bindung; Ski Marke Head 180cm Tyrolia Bindung. Tel. 0472 970074 (Essenszeiten)

PZ-TRAUERPORTAL

Liebe Leserinnen und Leser, die Pustertaler Zeitung (PZ) bietet mit diesem Portal einen weiteren wichtigen Leser-Service. Wir wollen damit eine würdige Plattform des Gedenkens, der Erinnerung und der Verabschiedung für unsere verstorbenen Mitmenschen schaffen. Damit sie in unserem Geiste weiterleben. Nähere Informationen unter: Tel. 0474 550830 • info@pz-media.it • www.pz-media.it

ANNAHME SCHLUSS

für Glückwünsche & Wortanzeigen: 13.12.2022

Tel. 0474 550 830 E-Mail: info@pz-media.it Rubrik: Kleinanzeiger www.pz-media.it

Neuwertige weiße Skischuhe, Marke Atomic, Größe 38 zu ver kaufen 50,- €. Tel. 340 243 28 86

FREUNDSCHAFT & LIEBE

Gsies: 54-jähriger kinderloser Single-Herr sucht eine Frau, die naturverbunden ist, einen Spaß versteht und ein sonniges Gemüt hat. Melde dich, falls du an einer aufrichten Freundschaft inter essiert bist. Tel. 331 3417444

Öffnungszeiten Recyclinghof Bruneck:

Dienstag u. Donnerstag: 07.15 Uhr - 12.15 Uhr & 13.30 Uhr - 17.30 Uhr Mittwoch u. Samstag: 07.15 Uhr - 12.15 Uhr

Candidus Schraffl

Tischlermeister

*01.01.1920 † 28.11.2022

In liebevoller Erinnerung

Ich werde jenseits des Todes leben, und ich werde in euren Ohren singen, ich werde an eurer Tafel sitzen, doch ohne einen Körper, und ich werde mit euch auf die Arbeit gehen als unsichtbarer Geist. Der Tod verändert nichts außer den Masken, die unsere Gesichter bedecken.

89
PZ 24 | 8. DEZEMBER 2022
SAG ES MIT DER PZ ...
Autonita GEBRAUCHTWAGEN AN- UND VERKAUF ACQUISTO E VENDITA MACCHINE USATE d. Nuka Dardan Nordring 25 I-39031 BRUNECK MwSt. Nr./Part. IVA: 03134640212 | St. Nr./Cod. Fisc.: NKUDDN96C23B220P Tel.: +39 347 732 49 95 +39 329 745 53 76 E-mail: nuka.autonita@outlook.it d. Nuka Dardan Fabrikstraße 2
+39 347 732 49 95
(gegenüber Karosserie Leitner) | Bruneck Tel.:
nuka.autonita@outlook.it Alle Modelle - BaujahrePreisklassen - Auch Fahrzeuge mit hohen Kilometerstand, sowie Unfall-, Getriebe-, oder Motorschaden Wir suchen Gebrauchtwagen
.it Sofa
Vintl
www.
Manufaktur
Lodenwelt

Fa. AME - Fachhandel für Heizund Solarsysteme in Schabs sucht zur Verstärkung

Magazineur (m,w, d)

Führerschein C von Vorteil Mitarbeiter für abwechslungsreiche Tätigkeit (m,w, d) Berufserfahrung als Elektriker oder Hydrauliker von Vorteil

Kontakt: Tel. 347 241 50 40 info@ametechnik.com

STELLENMARKT

Stellensuche

Ortsansässige, zuverlässige Frau mit langjähriger Erfahrung aus Bruneck sucht Arbeit als Badante oder für die ständige Pflegebegleitung in Bruneck Tel. 320 6456630

Stellenangebot

Verkäufer (m/w) in Vollzeit für Autohaus in Bruneck zum sofortigen Eintritt gesucht. Tel: 348 4510230

Fa. Baur Textil in Innichen sucht zum sofortigen Eintritt eine Verkäuferin in Vollzeit für unser Textilfachgeschäft. Tel. 0474 913215 E-Mail: info@baur.bz.it

TOURISMUSBÜRO SAND IN TAUFERS

Mitarbeiter*in

(Vollzeit oder Teilzeit)

Wenn du … • gerne Gastgeber*in, Wunscherfüller*in, Problemlöser*in bist, sicher und freundlich auftrittst, vielseitige Front-OfficeAufgaben sowie die Betreuung unserer Mitglieder mit Sorgfalt erledigst, gern Projekte anstößt und mitentwickelst und das Tauferer Ahrntal gut kennst, sehr gute Kenntnisse der italienischen Sprache und gute der englischen besitzt, einen sicheren Umgang mit Word, Excel und Outlook beherrschst

... dann freuen wir uns auf dich! Bei uns erwartet dich eine abwechslungsreiche und anspruchsvolle Tätigkeit deinen Fähigkeiten und Talenten gemäß Aus- und Weiterbildungsmöglichkeit, gute Entlohnung geregelte Arbeitszeit mit einem kollegialen Team.

Bewirb dich jetzt und sende deinen Lebenslauf an: info@taufers.com, T +39 0474 678076

Pustertal: Ortsansässige Stu dentin an der UniBZ, italienischer Muttersprache mit guten Deutsch kenntnissen und internationaler Erfahrung bietet Italienischund Englischunterricht, sowie Nachhilfestunden an. Tel. 339 1635082

Despar Prima sucht zum soforti gen Eintritt ortsansässige Verkäuferin mit Erfahrung in der Gast ronomieabteilung. Bewerbungen nur schriftlich an folgende Mail: moser.paul@bb44.it. Privat ge führtes Despargeschäft und Ent lohnung nach Leistung.

Wir suchen ehrenamtliche Mitarbeiterinnen die eine positive soziale Grundeinstellung haben die gerne mit Frauen und im Team zusammenarbeiten bereit sind sich persönlich und fachlich weiterzubilden die über Einfühlungsvermögen verfügen und die Schweigepflicht einhalten

90 SERVICE PZ 24 | 8. DEZEMBER 2022
Kontaktdaten: Frauen helfen Frauen | Paul-von-Sternbach Str. 6 | 39031 Bruneck Tel.: 0474 / 410 303 | info@frauenhelfenfrauenbruneck.it Wir suchen im Aktivhotel Wochtla Buam in Stegen bei Bruneck
Bitte
+39 346 3024230
Fühlst du dich angesprochen? Dann melde dich bei uns!
für unser Projekt Wintersaison noch Teammitglieder
melden unter
Wir suchen „Next Gen. Banker“ Banker der nächsten Generation Finde deinen Platz bei uns im Team!
Rahmen deiner Ausbildung lernst du das Bankgeschäft kennen und bekommst die Chance, deine berufliche Zukunft in der größten lokalen Genossenschaftsbank Südtirols zu gestalten. JOIN OUR TEAM Bewirb dich jetzt! Mehr Infos unter www.raiffeisen-bruneck.com Work-Life-Balance Freizeitclub Zukunftsperspektiven junges Team
Im
Kleiderkammer vom Vinzenzverein Bruneck jeden 1. und 3. Donnerstag im Monat von 14.30 bis 16.30 Uhr in der
2 Kleiderkammer der Vinzenzvereinigung Toblach jeden 1. und 2. Samstag im Monat von 9:00 bis 11:00 Uhr und jeden 3. Dienstag von 15:00 bis 17:00 Uhr im Bahnhofsgebäude von Toblach SERVICE KOORDINATOR M/W/D SERVICE TECHNIKER M/W/D AFTER SALES MITARBEITER M/W/D TECHNISCHER EINKÄUFER M/W/D TECHNISCHER ZEICHNER M/W/D ENGO-ICE.COM WERDE TEIL UNSERES TEAMS! INFO @ ENGO-ICE.COM I +39 0472 546 157
Mühlgasse

grundzufrieden. mit sicherheit.

AUR1385: Nur ein paar Schritte vom Zentrum des hübschen Dorfes entfernt, bieten wir diese helle, gut geschnittene und mit Massivholz stilvoll eingerichtete Dreizimmerwohnung zum Verkauf an. Die Wohnung befi ndet sich im ersten Stock eines kleinen Kondominiums, welches erst vor Kurzem erbaut wurde, und bietet einen wunderschönen, freien Blick ins Grüne.

Konventionierte Wohnung mit zwei Schlafzimmern, Wohnzimmer und getrennter Küche!

Die Wohnung Ist möbliert und in top Zustand. Garage, großer Keller und 190m² Garten inbegriffen. Im ersten Obergeschoss in Uttenheim

Mehr Informationen unter immobilien-prisma.it Matthias Oberlechner Geprüfter Immobilienmakler Kontaktieren Sie mich unverbindlich! T *39 0474 976 261 matthias@immobilien-prisma.it

91 SERVICE PZ 24 | 8. DEZEMBER 2022
IHR NEUES EIGENHEIM IN UTTENHEIM www. egal .bz.it Kontaktieren Sie uns: Tel. +39 0474 431271 www.aurimmobil.com
Preis
auf Anfrage
Sand
bachermetallbau@gmail.com
Dreizimmerwohnung . Olang BACHER METALLBAU
in Taufers - 0474 678313
Die Kleiderkammer im Kolpinghaus hat das ganze Jahr hindurch jeden Dienstag Nachmittag von 14-16 Uhr und jeden Donnerstag Vormittag von 9-11 Uhr geöffnet. Frau Hedwig Nicolussi: Tel. 0474 411175 mittags o. abends info@aa-suedtirol.com | www.anonyme-alkoholiker.at Tel. +39 334 8314515 ALKOHOLPROBLEME? Es gibt eine Lösung. Nehmen Sie mit uns Kontakt auf! Paul-von-Sternbach-Str. 6 I-39031 - Bruneck (BZ) www.frauenhelfenfrauenbruneck.it Tel. 0474 410 303 info@frauenhelfenfrauenbruneck.it Öffnungzeiten: Montag - Freitag: 8.30 - 11.30 Uhr Mittwoch: 15.00 - 17.00 Uhr oder nach Vereinbarung Verein Frauen helfen Frauen Bruneck Paul-von-Sternbach-Str. 6 I-39031 - Bruneck (BZ) www.frauenhelfenfrauenbruneck.it Tel. 0474 410 303 info@frauenhelfenfrauenbruneck.it Öffnungzeiten: Montag - Freitag: 8.30 - 11.30 Uhr Mittwoch: 15.00 - 17.00 Uhr oder nach Vereinbarung Verein Frauen helfen Frauen Bruneck WIR SIND FÜR SIE DA!
9 – 39031 Bruneck Tel. 0474 551327 Montag: 15.00 – 19.00 Uhr Dienstag, Mittwoch und Donnerstag: 8.30 – 12.00 Uhr
3b – 39034 Toblach Tel. 3351211392 Montag bis Mittwoch von 9.00.-.11.00 Uhr Donnerstag von 9.00 – 11.00 Uhr und von 16.00 – 18.00 Uhr
AUTOMATISCHE FALTTÜREN, THERMISCH GETRENNTE EDELSTAHLFENSTER - IGLU SPEIKBODEN Automatische Schiebe- und Falttüren Ga ragentore Türen Balkonverglasungen Alu fenster Glasbau Windfänge Vordächer
Kapuzinerplatz
Gustav-Mahler-Straße

Ihr Bodenschleifer

Schleifen, Ölen oder Lackieren von Holzböden sowie Grundreini gung von geölten Holzböden

Tel. +39 392 6711700 - Bruneck E-Mail: boednschleiffn@gmail.com

Baugrund, sanierungsbedürf tiges Haus oder Bauernhof zu besten Bedingungen zu kaufen gesucht! Prisma Immobilien –Tel. 0474 976261.

IMMOBILIEN

Mietsuche

Ruhige, angenehme Familie mit gesichertem Einkommen sucht eine 3/4 Zimmerwohnung zu moderatem Mietpreis in Bruneck oder näheren Umgebung ab sofort oder nach Vereinbarung zu mieten. Tel. 389 7678315

Bruneck: 50-jähriger ortsansäs siger Herr aus Bruneck, Nichtrau cher und mit fixem Arbeitsvertrag sucht ein Zimmer mit Bad oder eine günstige Kleinwohnung ab sofort zu mieten. Tel. 345 1427748

Bruneck und Umgebung: Ein Herr (Nichtraucher) mit fixem Arbeitsvertrag sucht dringend eine Kleinwohnung oder Monolokal ab sofort zu mieten. Tel. 366 1900786

Mietangebote

Geschäftslokal, 50m², auch als Büro oder Kosmetiksalon nutzbar, im Zentrum von Welsberg güns tig zu vermieten. Tel. 346 5729692

Bruneck: 4-Zimmerwohnung ab Frühjahr 2023 an Ortsansässige zu vermieten. Tel. 347 9433312 (Anrufe von 18-20 Uhr erbeten).

Immobilienangebot

Niederdorf: Garagenstellplatz um 25.000€ zu verkaufen. Genauere Informationen unter: Tel. 0474 976261 oder unter der Mail: info@immobilien-prisma.it

WIR VERKAUFEN:

WIR VERKAUFEN:

BRUNECK: Ausserragen: neu sanierte 2/3-Zi-Wo. Südbalkon ab 252.000; Wohnhaus, dreistöckig, im Zentrum, 3 Stockwerke

BRUNECK: große Geschäftsfläche, ideal auch als Büro/Showroom/Lager, frei gestaltbar, in optimaler Lage, 400.000 • Büro/Studio in bester Altstadtlage, 1. Stock, 350.000;

REISCHACH: Eckreihenhaus, frei, 480.000; gesamtes letztes Stockwerk, neu, 118 m2; 2Zi-Wohnungen, frei, ideale Geldanlage

ST. GEORGEN: luxuriöse 5-Zi-Betriebswohnung, herrliche Terrasse, 1. Stock, Wohnraum, Wohnkü che, 3 Schl.Zi., Bad, WC, gr. Keller, Garage

PFALZEN: herrliche 3-Zi-Wo mit Garten. gr. Keller, Garage 305.000, Übergabe: 2013

EHRENBURG: 4-Zi-NeubauWg., ruhige Lage, Süd-West, Wohnraum/Küche, 3 Schl.Zi., gr. Bad, Tages-WC, Abstellraum, 2 Balkone, Keller, Gara genstellplatz, Kl.H. A, 453.000 • Mehrfamilien wohnhaus mit 3 Wohneinheiten

NASEN: schöne Neubauwohnungen, 2-3 Zimmer, herrliche Lage, Klima B ab 190.000 GAIS: Neubauwohnungen, verschiedene Größen, Übergabe 2013

GAIS: DIE IDEALE GELDANLAGE! Sehr gepflegte Kleinwohnung., letzter Stock, möbliert, zwei Bal kone, 160.000

MÜHLEN in TAUFERS: 1-Zi-Wo., eingerichtet 114.000; 3-Zi-Wo., Klimahaus B, 265.000

WIR VERMIETEN: BRUNECK/ZENTRUM: Büro-/Praxisflächen, ca. 120 m², 1.200,00

LUTTACH: neues Bauprojekt – Fünfzimmer wohnungen mit Garten, 3 Schl.Zi., 2 Bäder, Doppelgarage, Klimah. A

Sie überlegen Ihre Immobilie zu verkaufen? Wir beraten Sie gerne in einem unverbindlichen Erstgespräch!

TERENTEN: Duplexwohnung, in herrlicher Lage, 4 Zimmer, 2 Bäder, 2 Keller, Garage 260.000 BRUNECK: Büroräume im Zentrum, Erdgeschoss, 180 m2 , Garagen, 450.000 Europastraße 15 | 39031 Bruneck Tel. 0474 554666 | www.ausserhofer.immo

Sexten: Neubauprojekt! Konv. Wohnungen für Ortsansässige, EK A, ab 252.000 ” + MwSt Prags: Bezugsfertige konve. Wohnungen für Ortsansässige, EK A, ab 266.000 € + MwSt Sie möchten Ihre Immobilie verkaufen? Rufen Sie uns unverbindlich an für eine kostenlose Werteinschätzung! Tel: 340 4 668 669 info@mair-real.it Tel. 0474 554666 Bruneck - www.immoka.com

92 SERVICE PZ 24 | 8. DEZEMBER 2022
mair-real.it
Um unser Angebot für unsere Kunden zu erweitern, suchen wir Häuser, Grundstücke, Wohnungen, Höfe, Wälder im ganzen Pustertal und Eisacktal. Unverbindliche Wertschätzung! Tel. 0474 554666 | www.ausserhofer.immo Sie möchten Ihre Wohnung, Ihr Haus verkaufen? Rufen Sie uns an, wir beraten Sie gerne und unverbindlich. Immobilcom, Tel.: 0474 556002, info@immobilcom.net www.
39030 St. Lorenzen Aue 14 Harald 348 518 22 31 BODENBELÄGE www.pescosta-boden.it Boden „Landhausdiele Eiche” klick zum Preis von 31,90 Euro + MwSt./m2 Made in Germany Angebot! Angebot!
Pustertaler Medien GmbH 39031 Bruneck - Oberragen, 18 • T. 0474 550830 F. 0474 410141 • info@pz-media.it • www.pz-media.it IHR VORTEIL IHR BEITRAG IHRE ZEITUNG BEITRAGS-FORM 1 JAHR 2 JAHRE GRATIS Wortanzeigen f. Private Promotion (Südtirol) 25 Euro 40 Euro 3 WA für 1 Jahr 6 WA für 2 Jahre Gönner (Südtirol) 30 Euro 50 Euro 6 WA für 1 Jahr 12 WA für 2 Jahre Für das Italien-Abo und Auslands-Abo wenden Sie sich bitte an das Sekretariat unter Tel. 0474 550830 oder via E-Mail: info@pz-media.it Bitte schicken Sie mir die Pustertaler-Zeitung zu Ich erhalte die Pustertaler-Zeitung mehrfach - bitte ändern: Anruf oder Mitteilung per E-Mail info@pz-media.it genügt! Meine Anschrift hat sich geändert Meine Anschrift: Vor- und Nachname: Straße und Nr.: PLZ und Ort: Ausschneiden & schicken, anrufen oder mailen: RAIKA BRUNECK: IBAN IT81 V080 3558 2420 0030 0004 081 ABO-COUPON Probleme mit der Zustellung? Sie finden die Online-Version der Pustertaler-Zeitung auf unserer website: PZ-ABO www.pz-media.it +39 393 8800880 www.rentabox.it Mo.-Fr. 08-12 / 14-18 Wir lösen ihr Platzproblem rentabox Self Storage
Immobiliensuche
93 SERVICE PZ 24 | 8. DEZEMBER 2022 Uttenheim: 10 hochwertige Wohnungen, große Südterrassen, lichtdurchflutete Wohnräume, hochwertige Bauausführung in Klimahaus A-Nature, Übergabe ab 2024, Preise ab € 270.000. info@castellanum.it 0474 862621 www.castellanum.it NEUBAU “STERNWIESE HAUS C“ www.seeber-immobilien.it Sie verkaufen einen Baugrund? IMMOBILIEN NIEDERKOFLER Dr. Lukas Pörnbacher +39 342 5116923 lukas@immobil-niederkofler.it Dr. Andrè-Benedict Niederkofler +39 335 440891 info@immobil-niederkofler.it REISCHACH - "FIRBER" Wohnungen mit sonnigen Gärten und/oder Terrassen für Ansässige; Provisionsfrei für den Käufer 56 - 96 m² 2 - 3 A+ ab 400.000 € + MwSt. Zum Projekt Toblach Zentrum Geschäftslokal evtl. für eine Gemeinschaftspraxis mit kompletter Büroausstattung zu verpachten. Beste
St. Johannes Straße Bei Interesse melden Sie sich unter: Tel.
7727694 oder
HOLZBÖDEN SCHLEIFEN • lackieren • ölen • wachsen Bodenleger Fußboden - Fachbetrieb Fa. Priller Oskar - prilleroskar@gmail.com TEL. 348 2321852 HOLZBÖDEN SCHLEIFEN • lackieren • ölen • wachsen Bodenleger Fußboden - Fachbetrieb Fa. Priller Oskar - prilleroskar@gmail.com TEL. 348 2321852 ALLE FÄCHER / ALLE SCHULEN / ÜBERALL IN SÜDTIROL Nachhilfe ... die ankommt! Tel. 0471 978875 | www.pegasus.bz.it Selbsthilfegruppe bei Depression & Angststörungen Bruneck: Montag, 17.00 Uhr 14-tägliche Treffen Wichtig: Anmeldung beim Verein LICHTUNG; Tel: 333 468 622 0 oder info@lichtung-girasole.com Teilnahme nur möglich nach Erstgespräch mit der Gruppenleiterin.
Uhr Frohe Weihnachten
ist herzlich
334 365 17 46
410832 Parkinson Selbsthilfegruppe Pustertal
der
mit der Musiktherapie
Lage:
+39 335
+39 335 6159506
LetztesTreffen 2022: Mi. 21.12.2022 von 10-11
*jeder
willkommen Nähere Auskünfte unter: Tel.
oder 0474
Wir treffen uns wieder im Haus
Vereine (Bocciahalle)
mit Annemarie*.

Bruneck

Winterbauernmarkt

Jeden Freitag, 08.00 - 12.30 Uhr von November bis April auf dem Graben.

Christkindlmarkt Bruneck: noch bis zum 06.01.2023.

Benefiz Kreativmarkt

Von Donnerstag, 8.12. bis Freitag, 9. 12.2022 von 14.00 bis 19.00 Uhr in der Aula des Sozialwissenschaftlichen Gymnasium. Highlight: Am 08.12 um 15:00 Uhr - Konzert des Kinder chores der Grundschule Antholz Mittertal. Der gesamte Erlös fließt der Organisation „Südtirol hilft“ zu.

Reischach

Krippen Verkauf

zu Verfügung gestellt von Peppe Pedevilla im Haus am ANGER in Reischach

Am Freitag, den 09. Dezember und Samstag, den 10. Dezember 2022 von 10.00 bis 18.00 Uhr.

Der Reinerlös kommt zur Gänze der Vereinigung „Kinderhilfe Regenbo gen“ VFG zu Gute.

Sand in Taufers

Adventskonzert

Auf d’Weihnacht zua …

Am Sonntag, 18.12.2022, in der Pfarrkirche Taufers, ab 18:00 Uhr. Eintritt: 10,00 Euro

Weihnachtszauberwald - Bad Winkel - Reinbachfälle: noch bis zum 18.12.2022

Steinhaus

Queens of Goasleitn: FIS Europacup-Slalomrennen der Damen

Von Donnerstag, 8.12. bis Freitag, 9. 12.2022 von 9.30 bis 15.00 Uhr auf der schwarzen Piste „Goasleitn“ in der Skiworld Ahrntal/Steinhaus

Skitourenrennen:

Klausberg Vertikal - 910 Höhen meter Schweiß und Qual warten auf die Athleten

Am Samstag, 10.12.2022, ab 08:30 Uhr am Klausberg. Ca. 11:00 Uhr Siegerehrung bei der Kristallalm.

Terenten

Tearna Advent

Noch 2 Wochenenden: 10.12.11.12.2022 und 17.12.-18.12.2022 im Vereinshaus - Spielplatz - Wald.

Niederrasen

Weihnacht im Park

Am 8.12.2022, am 10.-11.12.2022, am 17.-18.12.2022

Taisten

Taistner Weihnacht

Am Samstag 10. und 17. 12., sowie am Freitag, 23. 12. 2022 ab 18:00 Uhr auf dem Schulplatz. St. Vigil in Enneberg

Advent Al Plan - Weihnachts markt

Am 8.-10.12.2022, am 17.18.12.2022 und am 27.-30.12.2022

Toblach

Drei Zinnen Weihnacht noch bis zum 07.01.2023 Ältester Krampuslauf Südtirols Am Freitag, 9. 12.2022 von 18.00 Uhr im Dorfzentrum

Innichen

Dolomiten Weihnachtsmarkt noch bis zum 06.01.2023

Unterirdischer Weihnachtsmarkt im Dolomythos Noch bis Sonntag, 08.01.2023 jeweils von 8:00 bis 19.00 Uhr im Dolomythos

Seniorenclub Bruneck: Schöne liebevolle gestrickte und gehäkelte Handarbeiten, wie Baby sachen, Mützen, Socken, Kindersarner und allerhand für Groß und Klein finden Sie jeden Montag, Mittwoch und Freitag von 14.00-16.30 Uhr am Clubsitz in der Stuckstraße 3 in Bruneck.

Der Erlös wird ausschließlich für Hilfsprojekte gespendet.

WEITERBILDUNGSKURSE am Berufsbildungszentrum Bruneck

• Sicherheitskurs für Arbeitnehmer (niedriges Risiko)

Referent: Heinz d’Angelo Wo? BBZ Bruneck Wann? 16.12.2022, 08:30 - 17:30 Uhr

• Frei von Stress für Mitarbeiter*innen in Handel undVer waltung

Referent: Christian Mair Wo? BBZ Bruneck Wann? 14.01.2023, 08:30 – 16:30 Uhr

• Lehrgang für angehende Vorarbei ter*innen in Bauunternehmen

Referent: verschiedene Fachreferenten Wo? BBZ Bruneck Wann? 23.01.2023 – 17.02.2023, 08:30 – 16:30 Uhr

• Auffrischungskurs für Arbeitnehmer

Referent: Michael Mores Wo? BBZ Bruneck Wann? 03.02.2023, 08:30 - 15:30 Uhr

ANMELDUNGEN:

Der Dienstwechsel der Apotheken findet jeweils am Freitag um 19 Uhr statt.

Die unten angegebenen Öff nungszeiten beziehen sich auf Werktage. Am Sonntag gelten folgende Öffnungszeiten: 9 - 12 Uhr und 16 - 19 Uhr

Der Notdienst gilt außerhalb der Öffnungszeiten für dringende Fälle und erfordert die Vorlage eines ärztlichen Rezeptes.

09. - 16. 12. 2022

Apotheke Kron - Reischach Öffnungszeiten 08:30 - 12:30 / 15:00 - 19:00 Uhr

Telefonische Erreichbarkeit: 00:00 - 23:59 Uhr, Tel. 0474 548440

Apotheke Hochpustertal –Innichen Öffnungszeiten: 08:30 - 1215 / 15:30 - 19:00 Uhr

Telefonische Erreichbarkeit: 00:00 - 23:59 Uhr, Tel. 0474 913142

Apoteca Corvara - Corvara Öffnungszeiten 9:00 - 12:00 / 15:30 - 18:30 Uhr

Telefonische Erreichbarkeit: 00:00 - 23:59 Uhr, Tel. 0471 836173

16. - 23. 12. 2022

Apotheke v. Zieglauer - Bruneck Öffnungszeiten 08:30 - 12:30 / 15:00 - 19:00 Uhr

Telefonische Erreichbarkeit: 00:00 - 23:59 Uhr, Tel. 0474 555358

Apoteca Alta Badia - Abtei Öffnungszeiten 09:00 - 12:00 / 15:30 - 18:30 Uhr

Telefonische Erreichbarkeit: 00:0023:59 Uhr, Tel. 0471 847152

Karbacher Sexten - Sexten Öffnungszeiten 08:30 - 12:30 / 15:00 - 19:00

Telefonische Erreichbarkeit: 00:00 - 23:59 Uhr, Tel. 0474 710460

Angehörige & Freunde von Alkoholikern

Tel. 0474 57 34 11, Fax 0474 57 34 99 Anmeldung bis: 2 Wochen vor Kursbeginn in schriftlicher Form www.weiterbildung-bruneck.org

Kontakt Südtirol: 0474 944 469 Bruneck (Seeböckhaus)

94 SERVICE PZ 24 | 8. DEZEMBER 2022
VERANSTALTUNGEN & KURSE T. 0474 550 830 • info@pz-media.it Rubrik: Veranstaltungen ohne Gewähr LÖSUNGEN: SUDOKU, KREUZWORT - & KINDERRÄTSEL 1 2 3 NOTDIENST | PRONTO SOCCORSO Samstag & Feiertage | sabato & giorni festivi: 12.00 – 15.30 Uhr | mobile +39 335 7820187 Sterzing Vipiteno Jaufenstr. 5 Via Giovo Tel. 0472 767650 www.dentalclinic-dallatorre.it
TURNUS APOTHEKEN
Di, 15.00
Brixen
2) jeden 2 + 4. Mo im Monat, 15.00 Uhr MEETINGS
Uhr
(Domgasse
Was passt nicht zusammen? 1.) der Papagei, 2.) die Lampe, 3.) das Mofa, 4.) der Bikini Schneemann bauen Wo ist der Skihelm?
O U T L E T C E N T E R B R E N N E R . C O M B R E N N E R N O R D I B R E N N E R S Ü D S T . V A L E N T I N S T R A S S E 9 A I 3 9 0 4 1 B R E N N E R I T E L : + 3 9 0 4 7 2 6 3 6 7 0 0 M O D E , F A S H I O N , S P O R T & O U T D O O R O U T L E T C H R I S T M A S S H O P P I N G T Ä G L I C H G E Ö F F N E T ( A U C H S O N N T A G S ) 1 0 : 0 0 B I S 1 9 : 0 0 U H R O R I G I N A L P R E I S E - 3 0 % B I S - 7 0 % R E D U Z I E R T

Turn static files into dynamic content formats.

Create a flipbook
Issuu converts static files into: digital portfolios, online yearbooks, online catalogs, digital photo albums and more. Sign up and create your flipbook.