

Gegen das Vergessen
SOTTO COSTO
KOMMEN SIE VORBEI!
gültig in den MPREIS Märkten Bruneck
Tauferer Str. 12A & Josef- Schweighofer- Str. 1
Montag – Samstag 08:00 – 19:00
REGIONALE KOOPERATIONEN























JUBILÄUMSAKTIONEN
























TITELTHEMA
80 Jahre Befreiung der Sippen- und Sonderhäftlinge in Niederdorf und am Pragser Wildsee: Damit die Geschehnisse jener Zeit nicht vergessen werden… 4
POLITIK & VERWALTUNG
Dominik Oberstaller: Es gibt viel zu tun 9
Tourismus-Hotspots: Der Unmut wächst 10
GESCHICHTE & HISTORIE
Historische Lichtbilder: Weite Blicke auf Bruneck und Umgebung 14
SOZIALES & GESUNDHEIT
Mein Kind hört nicht auf mich - Grenzen setzen und einfordern 16
MENSCHEN IM PORTRÄT
Kuno Prey: Sein stärkstes Werkzeug ist die Neugier 18
GESELLSCHAFT & MENSCHEN
Moser-Törggelen in Bruneck:
Gute Stimmung, Genuss und Zusammenhalt 22
Die Startklar-Reihe im UFO: Die Dialogreihe in den Startlöchern 24
WIRTSCHAFT & UMWELT
Rückblick und Ausblick:
Pustertaler Handwerk als kräftiger Zukunftsmotor 28
Innichen: Ein toller Sommer 30
KULTUR & KUNST
Das Ladinische in seiner kreativen Bandbreite 34
BILDUNG & SCHULE
Kulturzentrum Toblach: Zwei wichtige Gesellschaftsthemen 42 SPORT & FREIZEIT
Junior-Fishing-Pustertalcup 2025: Junge Fischer-Talente im Mittelpunkt 44 25 Jahren Leonardiritt in Abtei/Badia:
Gelebte Tradition und Gemeinschaft 45 SONDERTHEMA
Unsere Wellness-Oasen
IMPRESSUM
Sitz, Redaktion und Verwaltung: Oberragen 18, 39031 Bruneck, Tel.: 0474 550 830, E-Mail: info@pz-media.it Egtr. Trib. BZ Nr. 23/89 v. 2.10.1989 Internet: www.pz-media.it; Einzelnr.: 1,00 Euro; Jahresabo: 25,00 Euro; Erscheinung: 14-täglich; Verantw. Direktor: Reinhard Weger (Chefred.); Sekretariat: Michaela Huber; Akquisition: Hans Paulmichl, Josef Tasser; Redaktion: Reinhard Weger, Dr. Willy Pöder, Dr. Judith Steinmair, Dr. Verena Duregger, Monika Gruber, Barbara Pöder, Dominik Faller, Alexander Dariz; Grafik: Andreas Rauchegger, Kerstin Voigt; Herausgeber: Pustertaler Medien GmbH - Oberragen 18, 39031 Bruneck, Im PT-Abo vert. ROC-Nummer: 2717, ISSN 2532-2567 Mitglied der USPI (Unione Stampa Periodica Italiana) Druck: Athesia Druck, Bozen – PEFC-zertifiziert: Dieses Produkt stammt aus nachhaltig bewirtschafteten Wäldern, Recycling und kontrollierten Quellen; PZ-WhatsApp Nummer: 371 7678970
Titelbild: Judith Steinmair

PEFC/18-31-166
PEFC-zertifiziert
Ihre personenbezogenen Daten werden gemäß dem G.v.D. Nr. 196/2003, der EU-Verordnung 679/2016 (DSGVO) sowie dem G.v.D. Nr. 101/2018 verarbeitet. Die vollständige Aufklärung über die Verarbeitung Ihrer personenbezogener Daten und Ihre Rechte, wie z.B. das Recht auf Löschung, sind auf unserer Website veröffentlicht: www.pz-media.it/datenschutz.html . Falls Sie die Pustertaler Zeitung nicht mehr erhalten möchten, schreiben Sie uns dies einfach an folgende E-Mail Adresse: info@pz-media.it oder rufen Sie an: 0474 550830
DiesesProdukt stammtaus nachhaltig bewirtschafteten Wäldern,Recycling undkontrollierten Quellen
www.pefc.org
TRANSPARENZ
ALS NEBENSACHE
von Chefredakteur Reinhard Weger

Mit der Entscheidung, die regelmäßigen Pressekonferenzen nach den Sitzungen der Südtiroler Landesregierung abzuschaffen, hat Gouverneur Arno Kompatscher einen Schritt getan, der in vielerlei Hinsicht irritiert. Künftig sollen die Ergebnisse der Sitzungen nur noch über Pressemitteilungen oder Videostatements bekannt gegeben werden. Pressekonferenzen wird es nur noch dann geben, wenn die Regierung selbst der Meinung ist, dass es sich um „Entscheidungen von besonderer Tragweite“ handelt. Damit verliert aber ein zentrales Instrument demokratischer Kommunikation seine Regelmäßigkeit und damit auch seine Verlässlichkeit. Der Verweis darauf, dass die Medien von diesem Instrument angeblich nicht allzu sehr Gebrauch gemacht hätten, ist absolut nicht stichhaltig – ganz im Gegenteil!
Pressekonferenzen sind nämlich keine lästigen Pflichtübungen, sondern gelebte Transparenz. Das gilt für alle Beteiligten. Pressekonferenzen bieten den Medien die Möglichkeit, nachzufragen, kritisch zu hinterfragen und Zusammenhänge zu beleuchten. Ohne diesen Dialog entsteht jedoch ein Ungleichgewicht: Die Regierung informiert, aber sie wird nicht mehr direkt mit den Fragen konfrontiert, die Bürgerinnen und Bürger bewegen. Die Folge ist eine Informationskultur, die stärker gelenkt und weniger überprüfbar wird. Auch die Journalistenkammer Trentino-Südtirol kritisiert zu Recht, dass dieser Schritt das Vertrauen zwischen Politik, Medien und Öffentlichkeit schwächt.
Noch problematischer wird diese Entscheidung im Zusammenspiel mit der Verlegung der wöchentlichen Regierungssitzungen auf den Freitag. Ab Freitag Mittag sind nämlich die allermeisten Landesämter bereits geschlossen und der öffentliche Dienst im Feierabend (sic!). Die Folge: Wer Informationen oder Rückmeldungen zu Beschlüssen sucht, wird meist bis Montag warten müssen. Das wirkt nicht nur unpraktisch, sondern auch wie eine bewusste Verzögerung der politischen Kommunikation. Entscheidungen werden so weniger unmittelbar nachvollziehbar und verlieren an öffentlicher Resonanz.
In einer Zeit, in der viele Bürgerinnen und Bürger sich ohnehin von der Politik entfremdet fühlen, wäre mehr Offenheit und Dialogbereitschaft das Gebot der Stunde gewesen. Stattdessen entsteht der Eindruck, man wolle die öffentliche Auseinandersetzung stärker steuern und kritische Nachfragen vermeiden. Politik, die Vertrauen schaffen will, muss sich erklären, und zwar regelmäßig, direkt sowie transparent. Der Wegfall der Pressekonferenzen und die Verlegung der Landesregierungssitzungen auf einen Zeitpunkt, der öffentliche Kontrolle faktisch erschwert, senden das gegenteilige Signal. Eine lebendige Demokratie lebt vom Austausch und nicht von gefilterten Mitteilungen. Wer diesen Dialog einschränkt, verliert darüber hinaus an Glaubwürdigkeit und löst damit weiteres Unverständnis aus. Warum es daher zu dieser Entscheidung kam, ist für mich nicht nachvollziehbar. Sie war überflüssig wie ein Kropf und sollte dringend überdacht werden!
Damit die Geschehnisse jener Zeit nicht vergessen werden…
Themen, die den Krieg betreffen sind obsolet? Leider nein! In einer Zeit, in der wir nach wie vor tagtäglich mit Kriegshandlungen und dem großen Leid der betroffenen Bevölkerung konfrontiert werden, ist die Diskussion über Werte wie Freiheit und Recht umso wichtiger. Und die Aufarbeitung vergangener Gräueltaten, um die Fehler nicht zu wiederholen. Im Hochpustertal bemühen sich die beiden Gemeinden Niederdorf und Prags seit vielen Jahren genau um das, nämlich um das Gedenken an ein sehr spezifisches Ereignis im Zweiten Weltkrieg, das unweigerlich mit den beiden Gemeinden verbunden und ein Beweis für Zuversicht und Menschlichkeit auch in schwierigsten Zeiten ist. Mit einem informativen, gleichzeitig aber auch berührenden Festprogramm, aufgeteilt auf zwei Tage, lud die Gemeinde Niederdorf, der Förderverein Zeitgeschichtsarchiv Pragser Wildsee und die Hoteliersfamilie Heiss unlängst zur Jubiläumsfeier „80 Jahre Befreiung der Sippen- und Sonderhäftlinge in Niederdorf und am Pragser Wildsee im April 1945“ ein.
von Judith Steinmair
Am 28. April 1945 trafen 139 Gefangene aus siebzehn Nationen Europas als Geiseln der SS in Niederdorf ein, wo sie als Faustpfand dem Chef der Sicherheitspolizei für Waffenstillstandsverhandlungen mit den Westalliierten übergeben werden sollten. Kurz vor Ende des Zweiten Weltkrieges waren diese im Zuge der Räumung des Konzentrationslagers Dachau nach Südtirol verschleppt worden. Es handelte sich einerseits um Sonderhäftlinge, die teilweise schon viele Jahre Gefangenschaft hinter sich hatten und für die NS-Führung als äußerst wertvoll angesehen wurden, also sehr prominente Persönlichkeiten wie etwa der österreichische Bundeskanzler Kurt Schuschnigg samt Ehefrau und vierjähri-
ger Tochter, der französische Ministerpräsident Leon Blum mit Ehefrau, der niederländische Verteidigungsminister Johannes van Dijk, der Ministerpräsident von Ungarn Miklos Kallay zusammen mit allen Mitgliedern seines Kabinetts, der Großindustrielle Fritz Thyssen mit seiner Ehefrau und, und, und… Auf der anderen Seite befanden sich im Geiseltransport auch 37 Sippenhäftlinge, denn nach dem misslungenen Attentat auf Adolf Hitler vom 20. Juli 1944 schlug das NSRegime gnadenlos zurück und begnügte sich nicht mit der Verfolgung der Verschwörer, sondern sah auch die Bestrafung der Angehörigen vor. Verhaftet wurden dementsprechend Männer wie Frauen, Kinder wie alte Menschen. In der Gruppe der Geiseln von
Niederdorf – Prags befanden sich fast mehrheitlich Familienangehörige der Verschwörer vom 20. Juli, unter anderem elf Mitglieder der Familie von Claus von Stauffenberg. Nun sollten die 139 Häftlinge eigentlich im Hotel Pragser Wildsee untergebracht werden, was aber nicht verfügbar war. Also entschied man sich, die Häftlinge nach Niederdorf zu bringen, wo sie in Hotels und Gasthöfen, dem Gemeindehaus und dem Pfarrhof einquartiert wurden. Für die SS war diese Lösung allerdings nicht optimal, da eine Bewachung der Gefangenen aufgrund der Aufteilung auf viele verschiedene Gebäude schwierig war und zudem die Bevölkerung von Niederdorf sich ohne Scheu und Angst um die Gefangenen kümmerte und diese mit Essen und warmer Kleidung versorgte. Eine ähnliche Solidarität hatten die Häftlinge auch schon auf ihrem Weg nach Dachau im niederbayerischen Markt Schönberg während eines mehrtägigen Aufenthaltes erfahren. Auch dort, wenn auch unter strengerer Bewachung durch die SS, war die Bevölkerung den Gefangenen beigestanden. In einem Augenblick von Unachtsamkeit gelang es kurz nach der Ankunft in Niederdorf einem der Gefangenen, Oberst Bogislav von Bonin, am 29. April 1945 telefonisch mit General Röttiger in Bozen Kontakt aufzunehmen und ihn um Hilfe zu bitten. Dieser entsandte am 30. April 1945 den im nahe gelegenen Sexten stationierten Haupt-

Beim großen Festakt und bei der Ausstellungseröffnung in Niederdorf waren ebenfalls viele Gäste - darunter auch betroffene Familien - mit dabei.
mann Wichard von Alvensleben, welcher mit einem Stoßtrupp von Wehrmachtssoldaten die SS-Wachen entwaffnete und die Gefangenen übernahm. Noch am selben Tag erfolgte die Umquartierung der Häftlinge ins mittlerweile frei gemachte Hotel Pragser Wildsee. Die Hoteleigentümerin, die berühmte Hotel-Pionierin Frau Emma Heiss Hellenstainer, empfing sie mit offenen Armen. Ab nun standen die Gefangenen unter dem Schutz der deutschen Wehrmacht, sie konnten sich im Hotel frei bewegen und hatten eine sichere Bleibe bis dort am 4. Mai 1945 amerikanische Truppen eintrafen und die Befreiten übernahmen. In zwei Transporten gelangten dann die Befreiten über Verona und Neapel nach Capri, wo für die meisten ihre Odyssee durch halb Europa schließlich endete.
DIE AUFARBEITUNG NIMMT GESTALT AN Die Initialzündung zu dieser bis heute so wichtigen Aufarbeitung eines bedeutsamen Teils der Geschichte des Zweiten Weltkrieges lieferte der Berliner Autor und Journalist Hans-Günter Richardi. Der war im Jahre 2003 nach Südtirol gekommen mit der Absicht, diesen von ihm entdeckten Geiseltransport näher zu erforschen. Allerdings fanden sich weder in der Prags noch in Niederdorf irgendwelche Spuren. Daraufhin suchte Richardi den Kontakt mit den Eigentümern des Hotels Pragser Wildsee. Die Junior-Chefin, Caroline Heiss, war schnell von der Idee angetan, die Geschichte der Geiselbefreiung zu untersuchen, ebenso wie der damalige und mittlerweile verstorbene Bürgermeister von Niederdorf, Johann Passler, der sich dem Projekt fortan mit großem Engagement widmen sollte. Und so nahm eine beispielhafte Aufarbeitung mit Publikationen, Ausstellungen, Seminaren und vielen weiteren Initiativen in Zusammenarbeit mit zahlreichen Menschen und Institutionen ihren Lauf, die bis heute Bestand hat.
BUCH UND AUSSTELLUNG
IM JAHR 2005
Und so fand vor zwanzig Jahren im April 2005, genau 60 Jahre nach der Befreiung in Niederdorf zum ersten Mal als Erinnerung an jenes Ereignis eine beeindruckende zweitägige Gedenkveranstaltung in Niederdorf und Prags statt, an welcher sieben Zeitzeugen und über 100 Familienangehörige der ehemaligen Sippen- und Sonderhäftlinge teilnahmen sowie zahlreiche Ehrengäste und Bürgerinnen und Bürger aus Niederdorf und Umgebung. Mittlerweile ist im Jahre 2025 nur mehr ein einziger der damaligen Geiseln am Leben. Seine Recherchen hat Hans-Günter Richardi, vor einigen Monaten leider ebenfalls verstorben, im Buch „SS-Geiseln in der Alpenfestung“ verarbeitet, erschienen in deutscher und italienischer Sprache und mittlerweile in der 4. Auflage neu aufgelegt. Zum Buch wurde da-

Der Niederdorfer Bürgermeister Günther Wisthaler (links) mit dem Künstler Manfred Bockelmann.
mals zudem die Begleitausstellung „Rückkehr ins Leben“ ausgearbeitet und zunächst im Museum „Haus Wassermann“ in Niederdorf gezeigt. Aufgrund des großen Interesses wurde diese zu einer erfolgreichen Wanderausstellung, die bis heute in mehr als 40 Orten in Italien, Deutschland, Österreich und Polen gezeigt wurde, darunter in der HannsSeidel-Stiftung in München, der Gedenkstätte Wolfschanze in Rastenburg in Polen, dem Museum Casa della memoria in Rom, dem Vogelsang Institut in Wien, der Gedenkstätte des ehemaligen KZ Dachau, im Bonhoeffer Gymnasium in Schönberg in Niederbayern, im Neuen Rathaus in Leipzig, in der Sophie Barat Schule in Hamburg, in der Gedenkstätte Deutscher Widerstand in Berlin uvm.
WEITERE PROJEKTE UND INITIATIVEN IN DEN VERGANGENEN 20 JAHREN
• Anbringung einer Gedenktafel an der Hotelkapelle des Hotel Pragser Wildsee und am Rathaus von Niederdorf mit den Namen aller befreiten Sippen- und Sonderhäftlinge.
• Zusammenarbeit mit Schulen, vor allem mit der Mittelschule Toblach und dem Sprachen- und Realgymnasium „Nikolaus Cusanus“ in Bruneck mit vielen Treffen zwischen verschiedenen Zeitzeugen und der Schulgemeinschaft; zudem besteht auf Initiative von Gräfin Marie-Gabriele von Stauffenberg eine entsprechende inhaltliche Schulpartnerschaft zwischen dem Kreisgymnasium Riedlingen in Baden-Württemberg und dem Sprachen- und Realgymnasium Bruneck mit regem Austausch.
• Gründung des Zeitgeschichtsarchivs Pragser Wildsee, eingerichtet von HansGünter Richardi im Hotel Pragser Wildsee. Das Archiv, betreut von Archivar Peter Seiwald, soll die Geschichte des Transportes der Sippen und Sonderhäftlinge, aber auch andere wichtige Kapitel der Südtiroler Geschichte dokumentieren und erhalten. Dafür wurden Häftlingsaufzeichnungen, historische Dokumen-
te, Zeugenaussagen, Bücher, Berichte und Aufsätze zusammengetragen, um sie an diesem authentischen Ort der internationalen Forschung zur Verfügung zu stellen. Das Archiv soll allen Geschichtsinteressierten, Lehrern und Schülern offenstehen, ein Bezugspunkt für die Erforschung der Geschichte der Befreiung der Sippenund Sonderhäftlinge sein, und zusätzlich ein Ort der Begegnung und des Dialoges.
• Gründung des Fördervereins Zeitgeschichtsarchiv Pragser Wildsee im Jahre 2012, zu dessen Aufgaben die Förderung des Zeitgeschichtsarchiv Pragser Wildsee in wissenschaftlicher, struktureller und organisatorischer Hinsicht zählt. Neben dem Präsidenten Jens Kappel (folgte auf Johann Passler) und Archivar Peter Seiwald gehören Walter Boaretto, Caroline Heiss, Margot Pizzini, Hermann Rogger und Cecilia Moser dem Verein an.
• Zweiteiliger Dokumentarfilm „Wir, Geiseln der SS“, basierend auf dem Buch von Hans – Günter Richardi, gedreht im Jahre 2015 an Originalschauplätzen in Prags und Niederdorf, produziert von der Gebrüder Beetz Filmproduktion aus Hamburg in Zusammenarbeit mit den Auftragssendern ZDF, ARTE, ORF und RAI; durch die mehrmalige Ausstrahlung des Films durch verschiedene Fernsehsender in Deutschland, Österreich, der Schweiz und Italien konnte die Geschichte der Befreiung der Sippen- und Sonderhäftlinge einem breiten Publikum bekannt gemacht werden.
• Zeitgeschichtstage: Seit 2006 finden im Zweijahresrhythmus Fachtagungen zu zeitgeschichtlichen Themen statt, welche sich in erster Linie an Historiker sowie an die Südtiroler Lehrerschaft richten. Es handelt sich um ein Kooperationsprojekt zwischen dem ZeitgeschichtsArchiv Pragser Wildsee, der Fakultät für Bildungswissenschaften der Freien Universität Bozen, dem Südtiroler Landesarchiv und der Pädagogischen Abteilung der Deutschen Bildungsdirektion. Termin für die nächsten Zeitgeschichtstage: Oktober 2026. >>


DIE AKTUELLE GEDENKFEIER 2025
Zwei Tage lang standen nun, 80 Jahre nach Kriegsende, Niederdorf und Prags einmal mehr im Zeichen des Gedenkens an die Befreiung der SS-Geiseln. Die Auftaktveranstaltung fand am Freitag, den 10. Oktober, im Kulturhaus am Von-Kurz-Platz in Niederdorf statt. Nach der Begrüßung der zahlreichen Ehrengäste, viele davon Familien(mitglieder) der damaligen Häftlinge, aber auch einige einheimische Zeitzeugen, gab Walter Boaretto einen ausführlichen Rückblick über 20 Jahre Erinnerungskultur. „Unser Auftrag für die Zukunft ist es, uns weiterhin einzusetzen, dass die Geschichte der Befreiung der Sippen- und Sonderhäftlinge in Niederdorf und Prags nicht in Vergessenheit gerät, an jeden einzelnen der 139 Gefangenen von damals erinnert wird und dass alles unternommen wird, gerade in der heutigen Zeit, um zu verhindern, dass Unrecht, Verfolgung, Gewalt und Krieg sich wiederholen,“ so Boaretto. Im Anschluss daran hielt der Niederdorfer Bürgermeister Günther Wisthaler einen Festvortrag und unterstrich dabei nochmals die Bedeutung der Aufarbeitungsarbeit: „Es ist für uns besonders wichtig, dieses Ereignis von zeitgeschichtlichem Inte-
resse, vor allem in der jungen Generation wach zu halten, damit die Geschehnisse jener Zeit nicht vergessen werden. Gerade in einer Zeit, in der wir täglich mit verschiedenen Kriegshandlungen und dem großen Leid der betroffenen Bevölkerung konfrontiert werden, sollten wir öfters über die Werte von Freiheit und Recht sprechen und sie der Jugend vermitteln.“ Neben vielen Dankesworten hob der Bürgermeister besonders die damalige Niederdorfer Bevölkerung hervor, die in jenen Tagen sehr viel Zivilcourage bewiesen und dafür menschliche Anerkennung gefunden hat. Und nicht zuletzt ging ein Dank auch an die Familie Heiss, stellvertretend für die damalige Hotelchefin Frau Emma, denn das Hotel Pragser Wildsee wurde durch seine Öffnung für die befreiten Geiseln ein zeitgeschichtlicher Ort von europäischer Bedeutung, denn hier hätten die Sippen- und Sonderhäftlinge zum ersten Mal ein vereintes Europa praktiziert.
SONDERAUSSTELLUNG IN NIEDERDORF
Bereits im vergangenen Jahr war der Künstler Manfred Bockelmann, übrigens der Bruder von Udo Jürgens, mit seiner Sonderaus-
stellung „Zeichnen gegen das Vergessen“ am Pragser Wildsee zu Gast und präsentierte dabei großformatige Kohlezeichnungen/ Porträts von Kindern und Jugendlichen im Alter von zwei bis sechzehn Jahren, die in verschiedenen Lagern und Anstalten während des Nazi-Regimes ermordet wurden. Ziel des Künstlers ist es, damit ein Zeichen zu setzen, um die Opfer aus der Anonymität der Geschichte herauszuholen und ihre individuellen Geschichten zu erzählen. Bockelmann zeigt sie nicht als Märtyrer, sondern als Individuen, deren Leben noch vor dem Martyrium stand. Die Porträts basieren auf erkennungsdienstlichen Fotografien der damaligen Behörden und zeigen sowohl die Unsicherheit und Angst als auch die Menschlichkeit der porträtierten Kinder und Jugendlichen. Im vergangenen Jahr haben zudem Schülerinnen und Schüler aus dem Pustertal Texte zu den Kohlezeichnungen verfasst. Im Zuge des heutigen Gedenkjahrs wird die Ausstellung von Bockelmann erneut gezeigt, eröffnet wurde sie diesmal im Museum Haus Wassermann in Niederdorf und ist dort noch bis zum zweiten November 2025 zu sehen. Prädikat: Sehenswert!

Die Sonderausstellung im Haus Wassermann in Niederdorf von Manfred Bockelmann (Bild oben) kommt überaus gut an und zielt gegen das Vergessen.



VERANSTALTUNG IN PRAGS
Am zweiten Veranstaltungstag, den 11. Oktober, lud indes Familie Heiss ins Hotel Pragser Wildsee ein. Nach der Begrüßung der erneut zahlreichen Ehrengäste von Seiten der Hausherrin Caroline Heiss und Walter Boaretto, untermauerte auch der Pragser Bürgermeister, Friedrich Mittermair, in seinen Grußworten die Bedeutung dieses geschichtlichen Ereignisses und dessen Gedenken: „Aus der Geschichte sollte man lernen, um solche Fehler nicht mehr zu machen“. Und: „Solche Initiativen sind stets auch eine Mahnung gegen Gewalt und ein Zeichen für Demokratie. Und immer wieder ist auch ein Appell an die Verantwortung der künftigen Generationen notwendig.“ Auch Caroline Heiss, seit Anfang an durch die Anfrage von Hans-Günter Ri-
chardi mit Herzblut und Tatendrang mit im Boot, bedankte sich nochmals bei allen Akteurinnen und Akteuren, den Familien und dem Förderverein und ganz allgemein bei allen Beteiligten und Interessierten der vergangenen 20 Jahre, es sei großartige und wichtige Arbeit geleistet worden und mittlerweile seien auch viele Freundschaften entstanden. Den Hauptprogrammpunkt des Vormittags bestritt dann der Autor Peter Godt mit seiner Buchvorstellung „Verschleppt und vergessen. Während Richardi in seinem Buch die Verschleppung prominenter KZ-Häftlinge durchleuchtet, widmet sich Godt dem Schicksal von 22 Häftlingen, die keine bekannten Persönlichkeiten waren und somit leicht in Vergessenheit geraten könnten. Bevor die Veranstaltung bei einem Festbuf-
fet mit musikalischer Umrahmung durch das Singerquartett Sexten und mit vielen inspirierenden Gesprächen ausklingen konnte, wurde bei einer Andacht in der Hotelkapelle am See nochmals das Gedenken zelebriert, liebevoll gestaltet von Björn Mensing, Pfarrer der evangelischen Versöhnungskirche in der KZ-Gedenkstätte Dachau gemeinsam mit dem Direktor des Vinzentinum Christoph Stragenegg und Pastor Carl Goerdeler, Enkel des bekannten Hitler-Attentäters Carl Friedrich Goerdeler.
Fazit: Zwei besinnliche Tage der Erinnerung im Hochpustertal in den Gemeinden Niederdorf und Prags, die durch das historische Ereignis von 1945 menschliche Anerkennung gefunden haben. //
AUSZUG AUS DER REDE VON OTTO PHILIPP SCHENK
Auszug aus der Rede von Otto Philipp Schenk, Graf von Stauffenberg, vom 30. April 2005 anlässlich der 60-jährigen Wiederkehr der Befreiung:
„Niederdorf, der Ort unserer Befreiung aus den Händen der SS am Ende einer Irrfahrt durch verschiedene Gefängnisse und Konzentrationslager kreuz und quer durch Deutschland ist für uns Überlebende natürlich ein zentraler Punkt und aus unserer Erinnerung nicht wegzudenken.“ (…)

„Nie während unserer ganzen Haftzeit war das Leben so bedroht wie hier in Niederdorf. Es war ja durchgesickert, dass der Transport nicht lebend in Feindeshand fallen dürfe. Es war nicht nur eine Rückkehr ins Leben, sondern aus der monatelang erfahrenen Unmenschlichkeit auch eine Rückkehr in die Menschlichkeit. Es wird unvergessen bleiben, wie bereitwillig uns die Bewohner von Niederdorf in ihre Häuser aufgenommen haben, und wie großzügig sie uns von dem wenigen, was sie selbst hatten, zu essen gegeben haben.“ //

Grußworte: Bgm. Friedrich Mittermair (Prags) Walter Boaretto und Claudia Heiss
Buchautor Peter Godt
Fotos: jst
Frühschwimmer im Cron4 in Reischach verärgert
Mit großer Besorgnis haben wir kurzfristig erfahren, dass die neue Leitung des Schwimmbads Cron4 in Reischach die Frühschwimmerzeiten am Mittwoch und Freitag von 06:00 bis 08:00 Uhr mit Anfang Oktober 2025 gestrichen hat, ohne die Gründe dafür zu nennen. Diese Zeiten sind seit vielen Jahren – für einige sogar seit 15 Jahren – ein fester Bestandteil für zahlreiche Schwimmerinnen und Schwimmer. Sie sind gut besucht und bieten für viele die einzige Möglichkeit, den Schwimmsport in den Alltag zu integrieren. Besonders für Menschen mit weiter Anfahrt, z. B. aus Heinfels, Innichen oder sogar Prettau (nach der Schließung des Bades in Sand in Taufers), sind diese Stunden unverzichtbar. Im Pustertal gibt es nur wenige Alternativen für Hobby- und Sportschwimmerinnen und Schwimmer. Die meisten Schwimmbäder sind auf den Tourismus ausgelegt und bie-

ten keine abgetrennten Bahnen. Die Frühschwimmerzeiten werden nicht nur von Einzelpersonen, sondern gelegentlich auch von Schwimm- und Triathlonvereinen für Sonder- und Privattrainings genutzt. Wir bitten die Geschäftsleitung dringend, die Entscheidung zu überdenken und die Frühschwimmerzeiten beizubehalten. Diese Stunden sind für viele von uns essenziell, um Sport, Gesundheit und Gemeinschaft zu fördern. Vielen Dank für Ihre Unterstützung! Die Petition und Unterschriftensammlung
Adults only – Hunde willkommen
Nachdem sich der „genetische Pfotenabtritt“ als Flop herausgestellt hat, soll es nun eine Hundesteuer richten. Ob DNA-Analyse oder Steuer, mich beschäftigt mehr die Frage, warum sich immer mehr Menschen Hunde halten. Die Frage nach dem Auto ist der Frage nach dem Hund gewichen. Der Hund ein Freund, ein Statussymbol, ein Kinderersatz oder von alldem etwas?
In Südtirol gibt es derzeit rund 40.000 Hunde, jene der Touristen nicht mitgezählt. Demgegenüber stehen ungefähr gleich viel Kinder im Kindergarten- und Grundschulalter. Laut ungarischen Forschern seien Hunde zwar nicht die neuen Kinder, sie würden aber zu einem bedeutenden Teil dessen werden, was eine Familie heute ausmache. Den Protest des HGV-Chefs gegen die Hundesteuer finde ich bedenklich. Immer mehr Hotels lehnen Kinder dezidiert ab (adults only) und werben mit „Hunde willkommen“. Das bedeutet, dass im Gastgewerbe Hunde teil-
weise einen höheren Stellenwert haben als Kinder. Im Grunde findet eine Vermenschlichung von Hunden und eine Diskriminierung von Kindern statt. Entspricht das dem Schöpfungsgedanken?
Der Protest gegen die Höhe der Hundesteuer im Ausmaß von 100 Euro jährlich ist wenig glaubwürdig. Es sind nicht die 8,33 Euro monatlich, die ins Gewicht fallen; dieser Betrag ist gegenüber den Ausgaben für Futter (man betrachte einmal die entsprechenden Regale in einschlägigen Geschäften), für Tierarzt, für Kurse usw. verschwindend klein. Zudem hat jede Gemeinde die Möglichkeit, Befreiungen und Erleichterungen vorzunehmen. Das kann für soziale Härtefälle ebenso gelten wie für Blinden-, Rettungs- und Suchhunde und für Hunde, die für die Unterstützung von Personen mit bestimmten Krankheitsbildern ausgebildet werden. Ebenso wenig überzeugend sind das Argument bzw. die Drohung, dass man den Hun-
FLOHMARKT IN BRUNECK
Am Samstag, den 25. Oktober 2025, findet im Nobis im NOI-Techpark in Bruneck ein großer Flohmarkt statt. Von 9:00 bis 17:00 Uhr öffnet das Gelände in der Europastraße 9 seine Tore für alle, die Freude am Stöbern, Entdecken und Wiederverwenden haben. Angeboten wird eine bunte Vielfalt an Dekorationsartikeln, Haushaltswaren, Kleidung, Schuhen, Sport- und Freizeitartikeln, Büchern und Musik – und natürlich vieles mehr. Der Flohmarkt ist eine ideale Gelegenheit, um besondere Stücke zu finden und zugleich nachhaltig zu handeln. Der Flohmarkt bei Nobis Bruneck verspricht einen unterhaltsa-
für die Beibehaltung der Frühschwimmerzeiten läuft weiter. Über den nachfolgenden Link kann das Vorhaben unterstützt werden: https://www.petitionen.com/beibehaltung_ der_fruhschwimmerzeiten_im_cron4_in_ reischach_nuoto_mattutino_a_cron_4. Viele Unterschriften - von meist aktiven Schwimmern – wurden bereits abgegeben. Die Petition läuft noch und daher können noch Unterschriften abgegeben werden.
Martin Auer · Pfalzen
dedreck wieder liegen lassen könne, wenn man eh die Steuer bezahle. Nach dieser Logik könnte man auch den Hausmüll „liegen lassen“. Wer zahlt übrigens für die Folgekosten, die Hunde durch ihren überall hin versprühten Urin verursachen? Auch dadurch sind wieder vor allem Kinder die Leidtragenden, denn wo Kinder spielen sind oft auch Hunde unterwegs.
Es gibt wohl keine eindeutige Antwort darauf, warum sich die Menschen für Hunde (statt Kinder) entscheiden. Sind es Spielkameraden oder Geschwister für Kinder, Babys für Eltern, Trostspender für Alleinstehende und Einsame, emotionale Stütze, vollwertige Familienmitglieder oder nicht selten doch Statussymbol?
Die moderne Mensch-Hund-Beziehung nimmt teilweise problematische Züge an und es stellt sich die Frage, ob die natürlichen Bedürfnisse eines Hundes mit den Erwartungen dessen Halters übereinstimmen.
Pius Leitner · Vahrn

men Tag voller Begegnungen, kreativer Funde und guter Laune. Es ist ein Treffpunkt für alle.
Wichtig: Wer selbst etwas verkaufen möchte, kann sich unter der Nummer 349 6032083 gerne anmelden. // rewe
Es gibt viel zu tun
Die Bürgermeisterinnen und Bürgermeister haben ihren Welsberger Amtskollegen Dominik Oberstaller zum neuen Präsidenten des Rates der Gemeinden und des Südtiroler Gemeindenverbandes gewählt. In einer geheimen Abstimmung setzte er sich – wenig überraschenddeutlich gegen Amtsinhaber Andreas Schatzer, den Bürgermeister von Vahrn, durch. Auf Oberstaller entfielen 66 Stimmen und auf Schatzer 41. Zugleich wurde auch der neue Rat der Gemeinden komplettiert. Dabei wurde Felix Nagler, der Bürgermeister von Wengen zum Vizepräsidenten dieses Gremiums gekürt. Mit Oberstaller führte PZ-Chefredakteur Reinhard Weger folgendes Interview.
RW: Herr Oberstaller, Sie sind zum neuen Präsidenten des Südtiroler Gemeindeverbandes gewählt worden. Welche Kernziele haben Sie sich für die Amtszeit als Präsident gesetzt? Worauf wollen Sie sich in den nächsten drei bis fünf Jahren besonders fokussieren?
Dominik Oberstaller: Meine Kernziele sind zum einen die Digitalisierung der Gemeindestuben. Ich bin überzeugt, dass wir als Gemeindenverwaltungen mit den technologischen Entwicklungen mitgehen müssen. Einerseits um die Arbeit für unsere Mitarbeitenden zu reduzieren und zweitens um Dienstleistungen für unsere Bürgerinnen und Bürger einfacher und unbürokratischer anbieten zu können. Die Gesellschaft entwickelt sich sehr schnell in einigen Bereichen und die öffentliche Verwaltung muss hier Schritt halten. Zum anderen soll die Autonomie und Souveränität der Gemeinden gestärkt werden, d.h. dass mehr Entscheidungen auf örtlicher Ebene getroffen werden sollen und neue Aufgaben und Dienste mit den notwendigen finanziellen Mitteln einhergehen müssen. Wichtig ist auch die Stärkung der internen und externen Kommunikation. Wir müssen verstärkt auf allen Ebenen kommunizieren, sei es zwischen den Gemeinden unter den Bürgermeisterinnen, sowie unter den MitarbeiterInnen und Ämtern, auf der anderen Seite müssen Entscheidungen und Veränderungen auch nach außen also für unsere BürgerInnen und Bürger klar kommuniziert werden.
In den letzten Jahren haben sich die Anforderungen an Gemeinden stark verändert (z. B. Digitalisierung, Gemeindeentwicklung, demographischer
Wandel). Wie sehen Sie die Rolle des Gemeindenverbandes in der Unterstützung der Gemeinden bei diesen Themen?
Die Rolle des Gemeindenverbandes ist wesentlich, um gemeinsame Interessen zu bündeln und stark zu vertreten, als einzelne Player sind wir hier zu schwach, deshalb kommt dem Verband eine bedeutende Rolle zu. Gerade bei den Herausforderungen unserer Zeit ist es wichtig den Zusammenhalt zwischen den Gemeinden zu fördern.
Viele Gemeinden stehen mit knappen Budgets da. Das ist eine der größten Herausforderungen. Welche Strategien wollen Sie fördern, um finanzielle Spielräume oder externe Fördermittel besser zu nutzen?
Ich bin überzeugt, dass wir bei neuen Diensten auch neue finanzielle Mittel brauchen um diese abzudecken. Wenn die Gesellschaft sich weitere Dienstleistungen der öffentlichen Hand wünscht, muss man genau hinschauen was braucht es wirklich und wie kann es bezahlt werden. Gleichzeitig gibt es viele Möglichkeiten auch Gelder des Staates und der Europäischen Union anzuzapfen hier müssen wir die Informationen und Koordinierung stärken.
Die demographische Entwicklung samt Alterung und Abwanderung junger Menschen stellt gerade ländliche Gemeinden vor Probleme. Welche Maßnahmen halten Sie für sinnvoll, um Gemeinden attraktiv zu halten oder wiederzubeleben?
Ich glaube der ländliche Raum wird in unseren Zeiten immer attraktiver (Homeoffice, Telearbeit, Freizeitangebot, Natur), wir müssen aber die Infrastrukturen modern und zeitgemäß gestalten, dafür braucht es Investitionen und Visionen für die nächsten Jahre.
Mobilität und Verkehr sind große Themen – vor allem in Bergregionen und durch das Pustertal. Wie kann der Verband Gemeinden dabei unterstützen, Verkehrsbelastung zu reduzieren und alternative Mobilitätsformen zu fördern?
Die Mobilität ist sicher eine der größten Herausforderungen unserer Zeit, es braucht moderne Verkehrskonzepte aber auch traditionelle Verkehrsinfrastrukturen, dies ist auch eine Notwendigkeit für Wettbewerbsfähigkeit unserer Wirtschaft und Betriebe, ich

Gemeindenpräsident Dominik Oberstaller
hoffe, dass durch die großen Infrastrukturprojekte (BBT, Riggertalschleife usw.) hier positive Veränderungen kommen.
Im Verhältnis zwischen Gemeinden und übergeordneten Behörden wie Land, Provinz und Staat gibt es oft Reibungspunkte. Welche Schritte wollen Sie unternehmen, um die Zusammenarbeit zu verbessern?
Es braucht einen fairen Umgang auf Augenhöhe. Wichtig ist natürlich in erster Linie ein klarer Austausch zwischen den Stakeholdern und ein Bekenntnis zur gemeinsamen Aufgabe: dem Dienst an unseren Bürgerinnen und Bürger. Gleichzeitig soll jede Ebene die Aufgaben machen welche sie am besten machen können – Subsidiarität.
Wie wollen Sie als Präsident sicherstellen, dass alle Gemeinden – große wie kleine, urbane wie alpine – gleichermaßen gehört werden?
Man muss sich mit allen 116 Realitäten auseinandersetzen und vor allem zuhören und verstehen. Gleichzeitig gilt es immer die größten Schnittmengen zwischen den Gemeinden zu finden und zu vertreten. Ich glaube auch wenn jede Gemeinde Unterschiede und andere Rahmenbedingungen hat so sind trotzdem viele Herausforderungen sehr ähnlich. Als Verband sind wir Dienstleister und Lobbyist für alle 116 Gemeinden.
Immer wieder wird ins Feld geführt, dass Sie bei den nächsten Landtagswahlen antreten möchten. Ist etwas dran an diesen Gerüchten?
Im Moment gefällt mir die Aufgabe in meiner Gemeinde und als Präsident des Gemeindenverbandes sehr gut. Ich bin mit Herz und Seele Lokalpolitiker und werde mich auch auf dieser Arbeit voll und ganz konzentrieren.
// Interview: Reinhard Weger
Der Unmut wächst
Die Blechlawine mancher Südtiroler Reiseziele belastet die Lebensqualität der Ortsleute.
Steuerungsmaßnahmen zur Entlastung sind unter achtsamer Vergegenwärtigung eines Interessensausgleichs zwischen Einheimischen und Gästen gleichwohl erforderlich wie ratsam. Prags ging voran.
Seit 2011 schickte die RAI1 um die 90 Folgen der Filmsaga „Un passo dal cielo“, über den Äther, anfänglich mit Terence Hill und nach dessen Abgang mit Daniele Liotti in der Hauptrolle. Der TVSerie flogen in all den Jahren seit 2011 herauf Millionen von Herzen zu. Massen machten sich auf den Weg nach Prags, um sich persönlich ein Bild von den diversen Drehplätzen zu machen. Zeitweise, speziell sommers über, wurde das Tal von Liebhabern der TV-Serie

Pragser Leitsystem, der Bürgermeister als Vorreiter. wpz

Die Zufahrtskontrolle am Taleingang von Prags funktioniert. wpz
und Bewunderern dieser bezaubernden Bergwelt buchstäblich überfahren und zugeparkt. An Spitzentagen waren’s auch schon mal um die 8.000 Besucher.
Die Gemeindeverwaltung war darum besorgt und gefordert zugleich. In der Folge suchte Bürgermeister Friedrich Mittermair händeringend nach einer brauchbaren Möglichkeit, um einerseits den ausufernden Verkehr in verträgliche Bahnen zu zwängen, ohne andererseits dadurch den Tourismus, der für das Tal einen wichtigen Wirtschaftsfaktor darstellt, ungebührlich auszubremsen. Folglich wurde der motorisierte Individualverkehr vom Tal zum See hoch schrittweise begrenzt, der Zubringerdienst über öffentliche Verkehrsmittel erhöht, „Shuttle-Busse“ kamen zusätzlich zum Einsatz.
PRAGSER LÖSUNG ALS BLAUPAUSE?
Ein Zufahrtskontrollsystem am Taleingang wurde eingerichtet; es wurde von Jahr zu Jahr den gewachsenen Anforderungen unter Zuhilfenahme neuester Technologien angepasst. Die Entwicklung mündete bis hierher im Onlineparking, daraus in der Zeit zwischen 10. Juli und 10. September Vorausbuchungen samt Vorauszahlung eines Parkplatzes am See zwingend folgten. Auf ungeteilte Zustimmung bei der Bevölkerung stieß des Bürgermeisters verkehrstechnische Regulierung anfänglich nicht, doch mit der Zeit legten sich sowohl Skepsis als auch verbissener Widerstand. Das smarte Pragser Verkehrsleitsystem, eine Mischung von verkehrs- und finanztechnischen Maßnahmen, bewährte sich - es machte Schule. Bürgermeister Friedrich (sein heiliger Namenspatron ist im Onlineshop in Ahorn und handbemalt erhältlich) gilt hierfür als Vorreiter. Andere Hotspots machten sich das Pragser Modell zu eigen oder haben vor, es zu tun.
DECKELUNG DES GÄSTEAUFKOMMENS?
Vertreter der Politik, wie beispielsweise „Team K“-King Kölle, plädierte für eine Deckelung des Gästeaufkommens in Orten von übersteigerter Touristenkonzentration zwecks Erhaltung der Lebensqualität der Einheimischen. Ginge diese nämlich evident
verloren, würde die Wärme der viel gepriesenen Südtiroler Gastfreundlichkeit alsbald unterkühlter Unfreundlichkeit weichen; ergo fühlten sich die Gäste nicht mehr willkommen, die Besucherzahlen stürzten ab, das Tourismusgeschäft käme ins Trudeln. All das würde den wirtschaftlichen Erfolg empfindlich schmälern und somit das über Jahre hinweg hart erarbeitete materielle Wohlergehen deutlich drosseln. Grund genug, die tradierte Tourismusakzeptanz vor der Gefahr zunehmender Inakzeptanz mittels angemessener Steuerungsmaßnahmen unter Schutz zu stellen.
ES BRAUCHT LÖSUNGEN
Andere, mehr patriotisch angehauchte Exponenten der Lokalpolitik, gingen in ihren Vorstellungen noch ein gutes Stück weiter; sie lancierten die Idee, zwecks effizienter Beherrschung des Massentourismus eine allgemeine Zutrittsgebühr auf Südtirol einzuführen. Toll! Nur die Vorstellung, die Welt würde allein schon dafür bezahlen, um unser Sein im Hiersein schauen zu dürfen, mag zwar Himmel erhebend anmuten, ist jedoch realitätsfern. Sei’s drum, bei acht Millionen Ankünften und 37 Millionen Nächtigungen



jährlich, wovon in etwa ein Drittel auf das Pustertal mit seinen Seitentälern entfällt, wäre es allemal eine Geldquelle von mächtiger Schüttung. An Durstigen, die erpicht wären, davon eimerweise aufzufangen und auf ihr Mühlrad zu schütten, würde es bestimmt nicht mangeln. Freilich, falls mit der Anregung hingegen ein gangbarer Weg zum Interessensausgleich zwischen Tourismus und den Bergbauern – unseren Landschaftsgärtnern - aufgezeigt werden sollte, war der Vorstoß jedenfalls von nobler Qualität. // wp

Wenn’s staut und stockt und nichts mehr geht. Fotos: wpz
Bergbauern: viel Arbeit bei wenig Einkommen. wpz
Busse und Bahn anstatt Individualverkehr.
Drehort Marienkapelle am Pragser Wildsee. wpz

FERTIGGESTELLT
Drei Bauten von insgesamt rund 30 Millionen Gesamtkosten stehen in der Gemeinde Bruneck kurz vor der Übergabe: Beim Schießstand im Osten der Stadt ist es die von der Alperia errichtete und nicht unumstrittene Wasserstofftankstelle samt E-Säulen (siehe Bild a); auf dem Areal der Lugramani-Kaserne kam zu den bereits früher im Auftrag der Provinzverwaltung im Rahmen der zwischen Staat und Provinz getroffenen Rahmenübereinkunft errichteten Soldatenherbergen durch den Abriss und Wiederaufbau der Gebäude 1 und 7 ein weiterer Wohnkomplex für Berufssoldaten hinzu (siehe Bild b). Schließlich errichtete das Wohnbauinstitut gleich hinter der Carabinieri-Kaserne ein Wohnhaus mit 34 Appartements (siehe Bild c). Die Tankstelle soll noch innerhalb November in Betrieb genommen werden, ebenso dürften alle anderen hier erwähnten Objekte innerhalb des Jahres ihrem Zweck zugeführt – also mit Leben erfüllt werden. Was die Wasserstofftankstelle betrifft, sei noch hinzugefügt, dass in ihrer unmittelbaren Nähe das Bus-Depot von Kronplatzmobil liegt. Damit sehen sich all jene in der Annahme bestärkt, dass die Personen-Transportgesellschaft ihre Flotte künftig mit Was-

serstoff betreiben wird. Diesbezüglich war auch zu erfahren, dass all die im Rahmen der olympischen Biathlon-Wettbewerbe in Antholz (8. - 20. Feber 2026) zusätzlich zum Einsatz kommenden Busse mit Wasserstoff-Antrieben ausgestattet seien. //

Der sympathische Rotschopf aus Sexten war ein guter Fußballer und ein exzellenter Skifahrer. Irgendwann wechselte er jedoch vom grünen Rasen und den weißen Hängen auf die rote Erde über, auf der er sich in Laufe der Jahre praktisch alles holte, was es im Welttennis an Exzellenzen zu holen gibt. Jüngst verteidigte der junge Sextner seine Titel beim Six Kings Slam in Saudi-Arabien, wo er im Finale seinen schärfsten Widersacher und zurzeit Nummer eins im Welttennis, Carlo Alcaraz, im Finale mit überraschender Leichtigkeit vom Platz fegte. Das alles ist nicht neu. Neu ist hingegen, dass Sinner während des Turniers nachtsüber als „Detektiv“ in der Unterwelt unterwegs war und sich so ein „Zubrot“ verschaffte (siehe Bild) Will wohl heißen, auch Jannik Sinner macht der allgemeine Preisanstieg zu schaffen. // wp

IMPULSE FÜR NEUE PERSPEKTIVEN IN ST. LORENZEN
Mit den „MittendrinImpulsen“ starten Vera Nicolussi-Leck (Unternehmensberaterin) und Dagmar Dantone (Malereibetrieb Dantone) in den Herbst eine neue Dialogreihe, die Menschen, Betriebe und Organisationen zusammenbringt. Die Veranstaltungen greifen aktuelle Themen auf, die in Wirtschaft und Gesellschaft gleichermaßen bewegen. Unter dem Motto „Mittendrin im Leben, im Herbst, im Pustertal“ stehen drei Abende im Zeichen von Wissen, Austausch und Begegnung. Den Auftakt machte am 15. Oktober der Vortrag „Mental flexibel statt Autopilot“ mit Valentin Piffrader. Am
5. November folgt Vera Nicolussi-Leck mit dem Thema „Unternehmensnachfolge erfolgreich gestalten“, bevor am 26. November Peter Nicolussi-Leck gemeinsam mit Vera Nicolussi-Leck und Valentin Piffrader über „Ich muss? Ich will! – ESG, von der Regulierung zur Eigeninitiative“ spricht.
Im Anschluss an die Impulsvorträge gibt es jeweils Gelegenheit zum Gespräch, Austausch und gemütlichen Beisammensein bei einem kleinen Umtrunk. Die Impuls-Gespräche gehen jeweils im Malerbetrieb „Dantone“ in St. Lorenzen über die Bühne. // rewe
ERFOLGREICHE WELTMEISTERTITEL FÜR MARTIN WINKLER
Im Zusammenhang mit der Berichterstattung über die Masters-Berglauf-Weltmeisterschaft in Meduno (Italien) in der PZ-Ausgabe vom 09.10.2025 möchten wir eine wichtige Ergänzung vornehmen: Martin Winkler erzielte bei den Bewerben „Uphill“ und „Long Distan-

ce“ nicht nur hervorragende Einzelleistungen – er wurde in beiden Disziplinen Weltmeister mit der italienischen Staffel. Zudem war er der schnellste Teilnehmer aus dem Pustertal.
Leider wurde in der ursprünglichen Berichterstattung sein Ergebnis unvollständig wiedergegeben, und auch beim abgedruckten Foto kam es zu einer Verwechslung. Wir bedauern diesen Fehler und entschuldigen uns ausdrücklich bei Martin Winkler.
Herzliche Gratulation zu diesen großartigen sportlichen Erfolgen! Es ist eine beeindruckende Leistung, die einmal mehr das hohe Niveau der Pustertaler Bergläufer unterstreicht. // Reinhard Weger






Weite Blicke auf Bruneck und seine Umgebung
Im Rahmen des großen Bereichs der visuellen Ortsbilddokumentation bieten sich verschiedene Ansätze an: von der Sammlung von Lichtbildern je älter desto besser über Detailfotografien von Straßenzügen und Gebäuden bis hin zu fast panoramaartigen Gesamtaufnahmen. Bei letzteren fällt u.a. die schier unendliche Weite der Landschaft auf, die Zentralität gewissen „Hot Spots“ wie Kirchen und Schlösser, die „Zerteilung“ durch Wege sowie die Prägung durch die Landwirtschaft.
// mk
AUFRUF

Das TAP sucht historische Photographien aus Bruneck und Umgebung sowie das Pustertal und seine Seitentäler betreffend (auch aus dem übrigen Südtirol sowie Nord- und Osttirol) – von Alltag und Freizeit (Bergfotografie!) bis Politik, Wirtschaft, Religion, Vereinsleben etc. Aus den (kurzfristig) überlassenen Fotos wird ausgewählt, jene als Kulturschatz eingestuften Lichtbilder werden kostenfrei gescannt und dann die Originale mit den Scans an die Besitzerin/den Besitzer zurückgegeben. Das TAP wünscht einzig auch die Nutzung der erstellten Digitalisate. Archivleiter Dr. Martin Kofler steht gerne zur Verfügung (T.: 0043-664-3568535)!
Nächster Abgabetermin: Dienstag, 28.10.2025, 10.00-12.30 Uhr, Rathaus Bruneck, Sitzungsraum 1. Stock links.
WEITERE INFOS: www.tiroler-photoarchiv.eu www.lichtbild-argentovivo.eu www.instagram.com/tiroler_photoarchiv/ www.tiroler-photoarchiv-sued.eu

mit Unterstützung der Pustertaler Zeitung
Eine Aktion des TAP
Bruneck von Stegen aus, 1909. (Stengel & Co.; Sammlung Monika Weissteiner, Stadtarchiv Bruneck – TAP)
Bruneck von Osten, um 1900.
(Fotograf: Unbekannt – Sammlung TAP)


Bruneck, Blickrichtung Norden, 1914.
(Fotograf: Unbekannt; Sammlung Hermann von Mersi – TAP)
MEIN KIND HÖRT NICHT AUF MICH...
Grenzen setzen und diese auch einfordern
„Neeeein, ich will nicht! Ahhh!“ – welche Eltern kennen solche Situationen nicht? Das Kind möchte etwas, und beim notwendigen „Nein“ beginnt das Schreien und Toben. Was denken da bloß die Leute?
Damit das Gebrüll aufhört und niemand denkt, dass mein Kind misshandelt wird oder ungezogen ist, gebe ich schnell nach. Es bleibt ein ungutes Gefühl, weil man eigentlich weiß, dass es nicht richtig war, nachzugeben. Aber wie kann man anders handeln?
Wichtig ist, zu verstehen, warum Kinder ein „Nein“ brauchen:
• Ein „Nein“ zeigt Kindern, wo die Grenzen sind. Ohne klare Grenzen fühlt sich die Welt unsicher und chaotisch an. Grenzen geben Orientierung und Sicherheit –das ist wichtig für die Entwicklung eines Kindes.
• Wenn Eltern bei ihrem „Nein“ nachgeben, lernen Kinder schnell, dass sie mit ihrem Verhalten etwas erreichen können. Wenn Eltern ihren Einfluss auf die Situationen verlieren, kann das dazu führen, dass Kinder die Regeln und die damit verbundenen Grenzen immer weniger beachten und die Erziehung schwieriger wird. Deshalb ist es wichtig, konsequent zu bleiben und das „Nein“ klar und liebevoll durchzusetzen.
• Kinder brauchen Erwachsene, die auch schwierige Gefühle wie Wut oder Enttäuschung aushalten können. Nach einem „Nein“ wollen Kinder trotzdem wissen: „Ich werde geliebt, auch wenn ich mich gerade schlecht verhalte.“ Mit Spannungen umgehen zu lernen, ist für Kinder und Erwachsene eine wichtige Fähigkeit, um sich im Alltag in verschiedenen Situationen behaupten und durchsetzen zu können. Diese Fähigkeit zu erlernen ist für eine gesunde Entwicklung des Kindes hilfreich.
Damit das „Nein“ gelingt, hier einige praktische Tipps:
1. Bleiben Sie in der Situation ruhig: Atmen Sie tief durch und bleiben Sie gelassen. Kinder testen Grenzen – das ist normal. Denken Sie daran: Ihr eigenes Verhalten

ist Vorbild. Wie Sie mit Enttäuschungen umgehen, lernt Ihr Kind durch Beobachtung.
2. Zeigen Sie Verständnis: Sagen Sie Ihrem Kind ruhig: „Ich sehe, du bist jetzt wirklich enttäuscht.“ So fühlt es sich verstanden, auch wenn das „Nein“ bleibt.
3. Klare Ansagen: Sagen Sie Ihrem Kind ruhig, aber bestimmt, warum es gerade kein „Ja“ gibt. Zum Beispiel: „Ich weiß, du möchtest eine Süßigkeit kaufen, aber heute kaufen wir nichts.“ Längere Diskussionen bringen meist wenig.
4. Konsequent bleiben: Bleiben Sie bei Ihrem „Nein“ und geben Sie nicht nach, sonst lernt das Kind, dass Schreien zum Ziel führt und probiert es beim nächsten Mal wieder.
5. Nachbesprechen: Sprechen Sie das Thema in einem ruhigen Moment an (je nach Alter des Kindes). Fragen Sie, warum es so reagiert hat, und erklären Sie nochmals, warum Sie „Nein“ gesagt haben.
6. Vorbereiten: Wenn möglich, sagen Sie dem Kind bereits vorher, was passiert (z.B. „Wir gehen kurz einkaufen und kau-
fen aber keine Süßigkeiten“), so kann sich das Kind darauf einstellen.
DAS
FAZIT
Kinder testen Grenzen, das gehört zur Entwicklung dazu. Wichtig ist, dass Eltern ruhig bleiben, konsequent sind und ihrem Kind zeigen, dass Regeln gelten – aus Liebe und Fürsorge. So lernen Kinder Schritt für Schritt, sich an Absprachen zu halten. Vergessen Sie nicht, Ihr Kind zu loben, wenn es sich an Absprachen hält – das motiviert für das nächste Mal! // ph
Haben Sie Fragen zur Medienerziehung oder zur Erziehung allgemein?
Dann melden Sie sich gerne bei der Erziehungsberatung „Puschtra FamilyCompass“ der Bezirksgemeinschaft Pustertal. Dieser neue Dienst unterstützt alle bei Fragen jeglicher Art rund um die Erziehung der Kinder. //
Schonend, sicher und professionell
Amalgam-Entfernung
Viele Menschen tragen noch alte Amalgamfüllungen aus früheren Zeiten. Zwar waren sie lange gängige Praxis, doch heute entscheiden sich immer mehr Patientinnen und Patienten für einen Austausch. Moderne Zahnmedizin bietet sichere und schonende Verfahren, um Amalgam professionell zu entfernen und durch biokompatible Materialien zu ersetzen.
Warum Amalgam ersetzen?


Amalgam enthält Quecksilber, das in minimalen Mengen freigesetzt werden kann. Auch wenn es meist unbedenklich bleibt, wünschen sich viele eine metallfreie Versorgung, etwa bei Allergien, chronischen Beschwerden oder aus ästhetischen Gründen. Zudem wirken moderne Füllungen aus Komposit oder Keramik natürlicher und fügen sich harmonisch in das Zahnbild ein.
Nachher
Sichere Entfernung mit Schutzmaßnahmen
Bei der Entfernung von Amalgam steht die Sicherheit an erster Stelle. In unserer Praxis arbeiten wir mit speziellen Absaug- und Schutzsystemen, damit keine Partikel oder Dämpfe in den Körper gelangen. So kann das alte Material kontrolliert entfernt und der Zahn anschließend mit hochwertigen, metallfreien Werkstoffen neu versorgt werden.
Nachhaltig und ästhetisch
Die neuen Füllungen sind langlebig, gut verträglich und optisch kaum vom

natürlichen Zahn zu unterscheiden. So entsteht nicht nur ein gesünderes, sondern auch ein schöneres Lächeln, ganz ohne Metall.
Wer sich für eine Amalgam-Entfernung interessiert, sollte sich individuell beraten lassen. So kann gemeinsam entschieden werden, wann und in welchem Tempo die Erneuerung sinnvoll ist – für langfristige Zahngesundheit und ein gutes Gefühl im Mund.

Dr. med. dent. Jule Hirte
Bachla 6
I - 39030 Pfalzen (BZ)
Tel.: 0474 862334
WhatsApp: +39 327 341 00 99
MODERNE ZAHNMEDIZIN

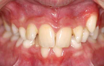
Abb. 1: Vor der Behandlung, frontal Abb. 2: Nach der Behandlung, frontal

Abb. 3: Vor der Behandlung, links

Abb. 5: Vor der Behandlung, rechts

Abb. 4: Nach der Behandlung, links

Abb. 6: Nach der Behandlung, rechts
Kieferorthopädie:
Dieser Patient hatte einen ausgeprägten Engstand im Ober- und Unterkiefer und einen sehr starken Überbiss der Schneidezähne. Dies konnte in einer Behandlungszeit von 18 Monaten behoben werden und die Verzahnung korrekt eingestellt werden.
Mit freundlichen Grüßen
Dr. Josef Willeit und Dr. Paul Willeit


Dr. Josef Willeit
Facharzt für Zahn-, Mund- & Kieferheilkunde Facharzt für Kieferorthopädie
Dr. Paul Willeit
Zahnarzt, Facharzt für Kieferorthopädie
Adresse:
Romstraße 3, Bruneck • Tel. 0474 555 409 info@willeit.it • www.willeit.it
Anzeige
Vorher
Sein stärkstes Werkzeug ist die Neugier
Entwerfen ist für ihn kein Akt des Augenblicks, es ist ein Prozess, der von Leidenschaft und handwerklicher Erfahrung geprägt ist. „Ich muss es fühlen”, sagt Kuno Prey. Als er anfing, für die Brillenbranche zu designen, ließ er sich eigene Gestelle mit Gläsern ohne Korrektur anfertigen, nur um zu begreifen, was es heißt, eine Brille zu tragen. Dieses Prinzip des Ausprobierens, des sinnlichen Verstehens zieht sich bis heute durch seine Arbeit: Design als Erforschung der Dinge. Eine Haltung, die er auch an seine Studierenden an der Freien Universität Bozen weitergibt. Im Gespräch erzählt er, warum er sie ermutigt, Fehler zuzulassen und den eigenen Weg zu suchen.
PZ: Sie sind in Südtirol aufgewachsen, haben in Mailand Design studiert, waren dann als Designer erfolgreich, haben viele Jahre in Weimar Produktdesign gelehrt und auch immer Ihre eigenen Ideen gestalterisch umgesetzt. Wie hat die Kombination aus alpiner Herkunft und urbanem Designumfeld Ihre Arbeit geprägt?
Kuno Prey: Ich bin ein Bergmensch, ich liebe und brauche die Berge, sie geben mir Ruhe im Kopf. Wenn ich zu meinen Kunden in die Stadt gefahren bin, nach Mailand, München oder Kopenhagen, habe ich die Dinge mit Distanz und größerer Aufmerksamkeit gesehen. Landkinder gehen neugieriger in Städte hinein, weil sie unbelastet sind. Diese Haltung, offen, wach und präsent, wenn man so will, prägt meine Arbeit bis heute.
Wie wichtig ist es, über den Tellerrand zu schauen, um den Blick zu schärfen? Das ist in allen Berufen wichtig. Eine andere Realität, andere Lebenssituationen, eine andere Esskultur kennenzulernen öffnet im Kopf ganz viel. Es gibt dir die Möglichkeit, das, was du kennst, mit anderen Augen zu betrachten und zu schätzen.
Welche frühen Erfahrungen haben Ihre gestalterische Neugier geweckt und geprägt?
Das Dorf: Wie wichtig Innichen für mich war! Früher waren im Dorf viele Handwerker. Ich habe von allen so viel gelernt, das war eine große Schule. Man ging vorbei, hörte etwas, nahm einen Geruch auf, schaute nach. Die Handwerker arbeiteten mit einer ganz anderen Geschwindigkeit, viel langsamer. Sie hatten Zeit, in sich zu gehen, was heute oftmals fehlt. Und sie haben uns Kindern Zeit gewidmet und Dinge erklärt. So lernte ich, Abläufe zu verstehen. Prozessverständnis ist zentral: Versteht man einen

Kuno Prey, 1958 in Innichen geboren, arbeitet nach dem Studium an der Domus Academy in Mailand eng mit der Industrie zusammen und erforscht dabei Materialien und Technologien. Von 1993 bis 2002 lehrt er Produktdesign an der
Vorgang, etwa, wie ein Platten geflickt wird, versteht man anderes auch leichter.
Sie beklagen, dass diese offene Werkstattkultur verschwunden ist. Auf meinem Schulweg lag der Tischler Schraffl. Wenn ich etwas zum Basteln brauchte, bin ich einfach zu ihm hin und bettelte darum. Herrschte dicke Luft in der Werkstatt, war es besser, wieder zu gehen. Im richtigen Moment aber bekam man vom Meister Sperrholz oder Furnier. Heute ist vieles verbarrikadiert, am Dorfrand stehen große Hallen, man erkennt von außen oft gar nicht, was drinnen hergestellt wird. Das Kulturgut der Handwerker im Ort ist verschwunden, das spontane Zuschauen fehlt.
Bauhaus-Universität in Weimar. 2002 kehrt er nach Südtirol zurück und baut an der Freien Universität Bozen die Fakultät für Design und Künste mit auf. Bis 2010 steht er dieser als Dekan vor. Handwerk und Produktkultur prägen seine Haltung, auch im Austausch mit den Studierenden. Design versteht er als kulturell verankerten Prozess. Sein Respekt für Materialien und die Geschichte hinter den Dingen ist erfrischend. „Ein gutes Produkt soll nicht nur funktionieren, sondern bestenfalls ein Lächeln auslösen.” Prey ist Mitglied verschiedener internationaler Jurys und als solches immer darauf bedacht, die Gegenstände auch auszuprobieren. „Erst dann kann man sich eine Meinung machen.” Im Laufe der Zeit arbeitet der Gestalter mit verschiedenen renommierten Marken zusammen, darunter Alessi, Danese und Rosenthal. 2022 veröffentlicht er das Buch „Designing Designers – From Products to Teaching“. //
Ich habe einmal eine Baustelle gesehen, deren Umzäunung aus Holzplatten Gucklöcher hatte. Großartig! Das signalisiert Stolz auf Arbeit und lädt Bürgerinnen und Bürger ein, besonders auch Kinder, einen Prozess zu verfolgen. Solche Einblicke fehlen heute oft.
Erzählt gutes Design eine Geschichte? Unbedingt. Ein Produkt braucht einen klaren Nutzen, gern verbunden mit einem Augenzwinkern und der Geschichte, die dahintersteckt. Wie ist das Produkt entstanden? Was ist die Idee dahinter? Warum sieht es so aus? Die Produkte erzählen in den seltensten Fällen die Geschichte von alleine. Es wäre hilfreich, wenn die Verkäuferinnen



und Verkäufer etwas davon wissen würden, um es weitererzählen zu können. Das macht Dinge sympathisch und begreifbar.
Funktionalität versus Ausdruck: Darf Design auch mal „unvernünftig“ sein? Ich habe eine Sammlung von Zitronen- und Orangenpressen. Meinen Studierenden habe ich letzthin „Juicy Salif“ von Philippe Starck gezeigt, eine Presse, die aussieht wie eine Spinne. Ich war immer voreingenommen, sagte ich zu meinen Studenten, und dass das Schwachsinn sei. Ich habe die Presse ausprobiert: Sie ist überraschend funktional, verrutscht und spritzt nicht. Ich war begeistert. Natürlich ist sie für einen Fünfpersonenhaushalt ungeeignet, weil man zu lange brauchen würde, um den Saft zu pressen. Aber für ein Glas Saft ist das Teil ideal, es entsteht ein Ritual, das Wertschätzung fördert. Manchmal ist bewusste Umständlichkeit sinnvoll: Sie verändert die Haltung zum Gegenstand. Es ist im Grunde genommen eine schöne Art der Reduzierung und für mich ein gutes Beispiel dafür, dass man Dinge immer erst ausprobieren muss, bevor man urteilt.
Was braucht die Zusammenarbeit von Industrie und Design, damit beide lernen?
Da ist gerade vieles im Umbruch. Früher kannte ich bei meinen italienischen Kunden die Inhaber, man ging zum Essen und zeichnete in der Trattoria eine Idee auf die Tischdecke aus Papier. Dieser persönliche Austausch führte dazu, dass man die Firma besser verstand, und man hatte es mit Unternehmern zu tun, wo Entscheidungen getroffen wurden.
In Deutschland ging es mir mal so, dass ich bei einer Präsentation vor lauter Vorständen saß; ich konnte überhaupt nicht verstehen, ob sie das, was ich vorgeschlagen habe, gut fanden. Vorstandsmitglieder kontrollieren sich gegenseitig, keiner will einen Fehler machen. Es ist ein Unterschied, ob man einem Inhaber oder einem CEO gegenübersitzt. Entfremdung ist ein Risiko. Wo Per-
sönlichkeiten Verantwortung übernehmen, entstehen bessere Produkte und ein besseres Arbeitsklima.
Ist Design ein Handwerk, das jeder erlernen kann? Ist es Talent, das man mitbringen muss?
Handwerk und Talent sind wichtig, aber nicht zu unterschätzen ist das Wissen über Materialien und darüber, wie man etwas herstellt. Alle Entscheidungen, die ich treffe, haben Konsequenzen. Es gibt immer noch Designer, die Schrott herstellen. Die gelbe Hartschale für Bananen ist für mich der Gipfel der Absurdität. Darüber habe ich auch mit meinen Studierenden diskutiert. Unsere Gesellschaft will alles optimieren, perfekt machen – und produziert dabei oft Müll. Stattdessen geht Erfahrung verloren: Man merkt nicht mehr, ob eine Banane reif genug fürs Rucksackfach ist oder eben nur noch ins Müsli gehört. Und im Übrigen hat die Banane selbst die tollste Verpackung, genau wie die Orange.
Die landet heute auch oft bereits geschält in der Plastikverpackung… … da darf man sich wohl fragen, ob wir noch alle Tassen im Schrank haben?
Gibt es ein Material, das Sie überrascht hat?
Ich habe einmal Uhren aus Beton hergestellt und damit sozusagen ein Material auf den Schreibtisch verpflanzt, das bis dato nicht dahin gehörte. Ich sah in Burghausen pol nische Restauratoren, die mit Silikonfor men barocke Fassadenteile abnahmen und fuhr zum Hersteller hin und schaute mir das Material an. Mit dem Wissen im Gepäck bin ich zur Betonform in Gais. Das ist ein gutes Beispiel dafür, wie Neugier plus Dialog mit Handwerkern Wege öffnen kann.

Nehmen wir die Firma Braun, die einen Taschenrechner rausgebracht hat. Er ist auf das Minimalste reduziert und durch seine puristische Haltung extrem schön. Die Tasten sind linsenförmig, gewölbt, die Treffsicherheit ist voll gegeben. Er ist radikal reduziert, weil die Funktion ernst genommen wurde. Gegen so eine Reduzierung habe ich überhaupt nichts. Ich sehe es nicht wie eine Doktrin, auch nicht dogmatisch – wenn es passt, kann die Form gerne der Funktion folgen. >>

Was ist Ihre Meinung zu „Form folgt Funktion“?
Es geht bei dieser Haltung ja darum, dass die überaus strengen Gestalter kaum noch etwas übrig lassen, was es nicht braucht.

Hinter gutem Design steckt eine Geschichte: Kuno Prey gestaltet Dinge, die einen Nutzen haben – gerne verbunden mit einem Augenzwinkern, wie zum Beispiel Uhren aus Beton für die Firma Danese.
Ausgezeichnet: Kuno Prey und Mariagiovanna Di Iorio beim ADI Compasso d‘Oro für das Projekt STAMPAtelle.

Ein Bild aus dem Uni-Alltag: Studierende bauen Rennpappen.
Ist Nachhaltigkeit ein wichtiges Thema im Designprozess?
Schon immer. Das habe ich von meiner Oma gelernt, die zwei Kriege mitgemacht hat. Sie hat jeden Spagat aufgehoben, und ich sehe noch die aufgewickelten Rollen bildlich vor mir. Wehe, wenn die sich verknotet haben. Oder das Beispiel mit der Banane vorhin: Sie braucht keine Plastikhülle.
Welches seiner Designs ihm eigentlich am liebsten ist? Da muss Kuno Prey nicht lange überlegen. „Ich gehe es holen“, ruft er und verschwindet im Nebenraum. Er kommt mit einem halbmondförmigen Stück Plastik mit „Ohren“ zurück, das viele Löcher hat.
Was ist das?
Das ist der „Drainer”, ein Sieb mit zwei Griffen, mit dem man kurze Nudeln und Gemüse abseihen kann. Sehr platzsparend, im Gegensatz zu einem herkömmlichen Sieb. Man setzt den „Drainer” an den Topf und gießt ab. Er ist 600.000 Mal produziert worden. Ich habe das einer bekannten Schweizer Firma auf der Messe in Frankfurt präsentiert. Die Reaktion: Hier würde zu viel Wasser verschüttet, das Produkt geht nicht. Eine dänische Firma verstand sofort den Nutzen, und es wurde ein Erfolg.
Haben Sie eine weitere Geschichte aus der Küchenwerkzeug-Entwicklung?
Mit Alessi entstanden hölzerne Kochutensi-
Wir suchen Mitarbeiter für Produktion u. Montage


Nützlich und schön: Für Alessi hat Kuno Prey Küchenutensilien gestaltet.
lien. Ein Reislöffel bekam ein großes Loch, damit Stärke am Korn bleibt; die vordere Kante wurde leicht angeschrägt. Der Griffquerschnitt folgt der Hand, nicht der Maschine. So entstehen teurere, aber bessere Werkzeuge.
Nach zehn Jahren Lehrtätigkeit an der Bauhaus-Universität Weimar haben Sie die Fakultät für Design und Künste in Bozen mitgegründet. Was ist das Modell Bozen?
Im Kern das Modell Weimar, dem italienischen System angepasst: kleine Gruppen, offene Aufgaben ohne vorgegebene Lösung, interdisziplinär. Design ist eine Praxis, ein Beruf, den man durch das Machen erlernt, weniger durch das Lesen in Büchern. Auch Fehler sind wichtig, die muss man zulassen. Ich versuche, Freiräume zu schaffen, im Rahmen des Hochschulgesetzes. Denn das italienische akademische System ist viel enger als das deutsche. Wir haben Ateliers, wo eine Gruppe von Studierenden an Lösungen arbeitet. Wichtig ist der Prozess.
Was wollen Sie Studierenden vermitteln?
Haltung und Verantwortungsbewusstsein. Jede Entscheidung hat Konsequenzen. Entwickle deine eigene Formensprache, nicht die des Professors. Design soll nicht vorgegeben sein, es geht um Haltung und die Art, wie ich mich einer Fragestellung nähere und sie beantworte. Analysiere Produkte am Markt, lerne, Qualität zu erkennen. Wenn ich den Studierenden sage, dass es kein Versagen ist, wenn jemand auf dem Weg zu einer Lösung steckenbleibt, aber sein Scheitern dokumentiert, dann sind sie oft überrascht. Doch gerade das bedeutet ja Lernen.
Bedrohung? Cooles Hilfsmittel? Welche Rolle spielt KI im Design? Es wird schon eine Gefahr, und zwar eine große, wenn man sich von ihr verführen lässt. Es ist aber auch ein nützliches Werkzeug. Mit meinen Studierenden thematisiere ich das immer wieder. Vor Kurzem haben wir der KI einen Auftrag erteilt: Entwerfe einen
Metallstuhl im Stil der 70er-Jahre. Heraus kam ein 20er-Jahre-Freischwinger im Orange der 70er. Natürlich großes Gelächter im Atelier… KI collagiert, klaubt zusammen. Designer reflektieren. Erfahrung, Wetter, Stimmung, das Menschliche bildet keine KI ab und kann sie auch nicht ersetzen. Sie ist immer gleich.
Warum sind Sie nach Südtirol zurückgekehrt?
Südtirol ist ein abgelutschter Ausdruck. Ich würde es Heimat nennen. Die Landschaft ist ein Geschenk, für Touristen teuer, für uns täglich da. Die Preise sind hoch, auch für uns. Aber wir haben das, was wir hier haben. Das wird leider nicht von allen so wahrgenommen und geschätzt, aber genau das hat mich zurückgeholt. Und einen pragmatischen Grund gab es auch: Ich wollte vermeiden, dass meine beiden Töchter zu bundesdeutsch werden, also besser Tirolerinnen.
Woran messen Sie gutes Design? Vertretbarkeit, Funktionalität, stimmige Materialien, sauberes Herstellungsverfahren und ein sympathisches Produkt, mit dem man ein Lächeln ergattert. Kurzum, ein Gegenstand, der nicht nervt, beim Benutzen keine Fingernägel bricht und eine kleine Geschichte erzählt, ist schon ziemlich weit vorne. Wir sind von Überflüssigem umstellt; das Gute muss nicht laut sein, aber konsequent. Mir fällt oft auf, dass die Studierenden nicht in der Lage sind, Qualität zu erkennen. Das ist aber besonders wichtig und etwas, das wir alle lernen sollten. Denn Qualität zahlt sich am Ende aus, immer.
Sie arbeiten auch künstlerisch, warum? Das hat einen eigentlich grotesken Grund: In Italien dürfen Professoren nicht freiberuflich tätig sein, aber künstlerisch arbeiten schon. Ich habe diesen Umstand dazu verwendet, Projekte mit Augenzwinkern umzusetzen, etwa „Der Nabel der Welt“ – ein Bauchabdruck in Südtirol-Form – oder „Ausgeflogen“, ein aus dem Landesadler herausgelaserter Pin, der an den Brain Drain erinnert. Wir glauben ja immer, die Besten zu


Der „Drainer“ von Kuno Prey, ein Sieb mit zwei Griffen, wurde 600.000 Mal verkauft.
sein, und plärren, dass uns die besten Leute davonlaufen. Warum nicht für ein bisschen Gesprächsstoff sorgen?
Was treibt Sie sonst um?
Wir haben hier schnelle, effiziente Monteure, die großartig sind. Aber das langsame, präzise Handwerk droht zu verschwinden: Weber, Schuster, Schneider. Im Sarntal haben wir noch die Federkielsticker als echte Ausnahme. Dieses wertvolle Kulturgut, das über Jahrhunderte aufgebaut und gepflegt wurde, rutscht langsam weg. Deshalb versuche ich zu erheben, was es noch alles gibt. Das Kunsthandwerk braucht Sichtbarkeit, Wertschätzung, Nachwuchs. Auch mit Kin-

„Der Nabel der Welt“, ein Bauchabdruck in Südtirol-Form, setzt sich mit dem Brain Drain auseinander.
dern arbeite ich sehr gerne und lasse sie in Projekten Dinge bauen, zum Beispiel Bleistifte aus den einzelnen Bestandteilen, Geldbörsen aus leeren Milchtüten. Es ist Bildung, zu sehen, dass etwas mit Geduld entsteht und man ein Gefühl für das Material entwickelt. Meine Erfahrungen in Projekten mit Kindern schreibe ich gerade im Buch „Kleine Große Begegnungen” auf.
Ein jüngstes Studentenprojekt, das Sie überrascht hat?
Erst letzthin war ich erstaunt. Ein Student hat einen Büroarbeitsplatz für die Wohnung, sozusagen einen „Büro-Schrank“, mit verblüffend einfachem Mechanismus für die her-
unterklappbare Arbeitsplatte geschaffen. Das gab es so noch nicht, den haben wir jetzt in einen Wettbewerb geschickt. Ein anderer Student wurde beim ADI Design Index ausgewählt, dem „Vorzimmer“ des Compasso d’Oro, dem renommiertesten italienischen Preis für Industriedesign. Das sind natürlich schöne Momente, die die Atelieridee bekräftigen.
Was raten Sie jungen Designerinnen und Designern?
Designer sind lästige Menschen, weil sie neugierig sind. Sie wollen immer alles aus der Nähe betrachten, ganz genau wissen. Neugier ist eine ideale Inspirationsquelle, lasst sie euch nicht nehmen! // Interview: Verena Duregger








MOSER-TÖRGGELEN IN BRUNECK
Gute Stimmung, Genuss und Zusammenhalt
Ein Abend voller Musik, guter Laune und großem Gemeinschaftsgeist: Beim Moser-Törggelen 2025 feierten über 300 Gäste aus ganz Südtirol in Bruneck. Das Event stand ganz im Zeichen des Genusses und der Solidarität. Für kulinarische Höhepunkte sorgten Haubenköchin Tina Marcelli, Barbara Prantl mit ihren frischen Strauben, Toni Mair unter der Eggen mit hei-
ßen Kastanien und Jakob Windschnur, der mit seinen Figuren für staunende Gesichter sorgte. Musik, Geselligkeit und gute Gespräche machten den Abend zu einem besonderen Erlebnis.
Doch nicht nur der Genuss stand im Mittelpunkt: Dank der Großzügigkeit der Besucher und Sponsoren konnten 11.000 Euro an die Hilfsorganisation „Südtirol hilft“ ge-

spendet werden. „Gutes tun verbindet – dieser Abend hat das eindrucksvoll gezeigt“, so Johannes Moser, Gastgeber und Organisator der Veranstaltung.
Als kleine Erinnerung erhielten alle Gäste exklusive Moser-Socken mit Waldtiermotiven, entworfen von Designerin Ingrid Canins. Dann bis zum nächsten Mal! // rewe


Das Team vom Autohaus Moser
Axel Müller mit Franziska und Roger Pycha und Johannes Moser
Markus Hepp, Emily Durnwalder, Tina und Kim Marcelli mit Karl Volgger, Alexia Engl und Aida Jubani
Christoph und Judith Ausserhofer, Alexandra und Walter Guarnieri




Robert Pohlin, Ingrid Canins


Wendelin Künig, Karlheinz Ausserhofer, Anton Mair unter der Eggen




Dieter und Jakob Schramm (r) und Hannes Moser
Günther (Watson) Schwarz und Robert Mair
Pepi und Johannes Moser
Martina Lahner, Peter Ryser, Roland Irschara, Werner Unterhofer, Markus Mutschlechner, Iweta Anna und Michael Molling
Daniel Schönhuber, Jakob Windschnur, Johannes Moser, Philip Achammer, Samuel Tosti, Hannes Egger und Daniel Ranalter
Philipp v. Grebmer, Matthias Mary Soncco, Elmar Hellweger, Elton Shehaj, Adolf Leitner und Florian Freiberger
Udo Mall mit Barbara sowie Karl Baumgartner mit seiner Ehefrau Mary
Kathrin Schönhuber, Wolfgang Mair
Die Dialogreihe in den Startlöchern
Seit nunmehr zehn Jahren wird im UFO in Bruneck zu verschiedensten gesellschaftspolitischen
Themen diskutiert, seitdem findet nämlich „start.klar“ statt, eine Dialogreihe, gemeinsam mit Zigori LAB umgesetzt und durch die Kooperation mit dem „KVW-Bezirk Pustertal“ und „SALTO change“ gestärkt. Die aktuelle Ausgabe der Veranstaltungsreihe behandelt die Themenfelder
Demokratie und Rechtsextremismus, ethisches Handeln in Unternehmen und Familie, neue Wohn- und Lebensformen sowie Sozialpolitik und Gerechtigkeit.
Auch in der diesjährigen Auflage ist es der Arbeitsgruppe rund um Verena Aschbacher, Monika Gatterer, Dori Passler, Elisabeth Steinhauser, Hanspeter Niederkofler, Gunther Niedermair und Markus Lobis wiederum gelungen, nicht nur wichtige, höchst aktuelle und auch brisante Themen aufzugreifen, sondern auch wieder hochkarätige Gäste für die Gespräche zu gewinnen. An vier Abenden im Oktober bis März (Beginn jeweils um 20 Uhr) wird Markus Lobis als Moderator gewohnt spannend den jeweiligen Abend mit seinen Gesprächspartnerinnen und -partnern in der typischen UFO-Salon-Atmosphäre gestalten.
DAS PROGRAMM:
• Demokratie in Gefahr | Was macht Rechtsextremismus so verführerisch? Mittwoch, 22. Oktober 2025
An diesem Abend wird der Frage nachgegangen, was den Rechtsextremismus so verführerisch macht. Seit Jahren zeichnet sich in Europas Politik ein Rechtsruck ab und im Windschatten populistischer Politikerinnen und Politiker wächst sich der Rechtsextremismus zur veritablen Bedrohung aus. Die rapide voranschreitende Degeneration der politischen und demokratischen Kultur in den USA und deren Auswirkungen in Europa heizen diese Entwicklung im Zusammenspiel mit den geopolitischen Interessen Russlands weiter an. Rechtsextremismus spricht auch in Südtirol viele an, und die lokale Szene radikalisiert sich weiter. Warum dies so ist, ergründen die österreichische Politikwissenschaftlerin und Extremismusexpertin Natascha Strobl und der Ost-West-Club-Macher und Sozialpädagoge Thomas Kobler.
• Von der Familie bis zum Unternehmen
| Kann Ethik Organisationen beflügeln?

Mittwoch, 3. Dezember 2025
Kann ethisches Handeln Organisationen stärken und beflügeln? Für Kambiz Poostchi sollen Unternehmen, Organisationen und Institutionen nicht vordergründig nach Effizienz- oder Profitlogik handeln, sondern als Gemeinwesen Verantwortung für Menschen und Gesellschaft übernehmen. Dabei stehen Werte wie Menschenwürde, Nachhaltigkeit und Gemeinwohl im Zentrum seines inspirierenden Organisationsmodells, das auch auf das Organisationsmodell „Familie“ angewendet werden kann. Am Podium ist Kambiz Poostchi, ein geschätzter Philo-

soph, Autor und Organisationsberater. Er hat sein auch in Südtirol erfolgreich angewandtes Organisationsmodell OSM (Open System Model) konsequent auf der Grundlage ethischer Prinzipien entwickelt.
• Trautes (Eigen)Heim, Glück allein? | Neue Formen für Wohnen und Leben Mittwoch, 4. Februar 2026
Dieses Mal steht das Thema „Wohnen“ im Zentrum. Dem Traum vom Eigenheim wurde und wird häufig alles andere untergeordnet. Immer mehr junge Menschen wollen dies aber nicht mehr oder können es sich im Hochpreisland Südtirol ganz einfach nicht leisten. Deshalb schließen sich vielerorts junge und weniger junge Menschen zu innovativen Wohnprojekten zusammen, gründen Genossenschaften und organisieren sich in größeren Hausgemeinschaften. Im UFO wird Markus Lobis mit Sarah Stoisser und Patrick Unterkircher neue Lebensmodelle vorstellen und erörtern. Sarah Stoisser ist Mitgründerin und treibende Kraft im Cambium, einem gemeinschaftlichen Wohnund Lebensprojekt in einer früheren Kaserne im steirischen Fehring. Patrick Unterkircher möchte mit Gleichgesinnten ein Hotel
Natascha Strobl und Thomas Kobler

in Barbian kaufen und ein lebendiges Gemeinschaftsprojekt daraus machen.
• Zwischen Gerechtigkeit und Lobbyismus | Wohin steuert die Politik? Mittwoch, 25. März 2026
Am letzten Abend der Veranstaltungsreihe dreht sich alles um die Gerechtigkeit. Seit den Anfängen demokratischer Systeme war das (partei-)politische Angebot auf gesellschaftliche Gruppen ausgerichtet und organisierte im Rahmen der Sozialen Marktwirtschaft den gesellschaftlichen Ausgleich. Das Vordrängen populistischer Parteien und des Neoliberalismus haben die Prämissen verändert und den Fokus der politischen Akteurinnen und Akteure verschoben. Das politische Geschehen gerät immer stärker in den Einfluss wirtschaftlich starker Player. Kommen dabei die Gerechtigkeit und die bedarfsorientierte Sozialpolitik unter die Räder? Diese und weitere Fragen werden mit

• HEILSITZUNGEN
• ATLASREPONIERUNG

den Gästen und dem Publikum diskutiert: Magdalena Amhof ist Mitglied der Südtiroler Landesregierung und kennt als ehemalige Vorsitzende des Sozialflügels der Südtiroler Volkspartei die Herausforderungen der Sozialpolitik. Sebastian Klein ist Multimillionär und setzt sich für Vermögensethik und
• COACHING IN PRÄSENZ & ONLINE
• CORE COACHING
und Sebastian Klein
die Priorisierung von Gerechtigkeit als Leitlinie der Politik ein. Nach dem Verkauf der App „Blinkist“ nutzt er den Großteil seines Vermögens für diese Ziele und unterstützt mit der Medieninitiative „Neue Narrative“ regeneratives Wirtschaften und neue Wege zur Befähigung der Menschen. // jst
WICHTIGE INFORMATIONEN
Die Dialogabende finden bei freiem Eintritt im UFO-Saal statt. Reservierungen sind erwünscht. Zudem werden die Veranstaltungen digital als Livestream auf der Website www.salto.bz angeboten. Weiters können die Dialogabende auch auf der Facebook-Seite des UFO verfolgt werden: www.facebook.com/UFObruneck Für den Livestream sind keine Anmeldung bzw. Passwort erforderlich. Alle Infos & Reservierungen: www.ufobruneck.it Folgende Partner und Sponsoren unterstützen die Dialogreihe: Amt für Jugendarbeit der Autonomen Provinz Bozen, Stadtgemeinde Bruneck, Raiffeisenkassen des Pustertals, Stadtwerke Bruneck, Solunio, Sofa Widmann, SALTO change, Pustertaler Zeitung und Radio Holiday. //
MARION GRIESSMAIR

PRAXIS FÜR GEISTIGES HEILEN UND FUTURE - COACHING
Kleiner Wirbel… große Wirkung So
wichtig ist eine
Atlasreponierung!
Der Atlas ist der erste Halswirbel und trägt und balanciert den rund 5 kg schweren Kopf Er ermöglicht das Nicken (Ja-Sagen), der Axis – der zweite Halswirbel – das Nein-Sagen. Beide besitzen keine Bandscheiben
Eine Atlasfehlstellung kann durch verschiedene Ereignisse oder Haltungen entstehen: Geburt, Stürze, Unfälle/Schleudertrauma, Sport, Narkosen oder Alltagsgewohnheiten wie Bauchschlafen, falsches Sitzen, zu dickes Kopfkissen oder lange Smartphone-Nutzung.
Die Folgen können vielfältig sein: Migräne, Kopfschmerzen, Gleichgewichtsstörungen, Schwindel, Kiefer- und Nackenschmerzen, Asthma, Schulter- Rückenschmerzen, Beckenschiefstand, Hüftschmerzen, Taubheitsgefühl oder Ameisen laufen, Sehstörungen, Ohrgeräusche, Schlaflosigkeit, Allergien, Herzrhythmusstörungen, Magen,- Darmprobleme, Erschöpfungssyndrom, ADHS u. v. m.


Eine Fehlstellung wirkt mechanisch auf Blut-, Nerven- und Lymphsystem und verändert Kopfschwerpunkt, Körperstatik und Haltung. Dadurch entstehen Druck auf die Wirbelsäule, Fehlspannungen in der Muskulatur und verengte Arterien – mit den genannten Beschwerden als mögliche Folge.
Dies zeigt deutlich, wie wichtig es ist, den Atlas in seine richtige Position zu bringen.
Ich biete in meiner Praxis eine sichere, schmerzfreie und nachhaltige Methode dafür an: die KAR-Atlasreponierung
Sie bringt den Atlas sanft und präzise zurück in seine natürliche Lage – und ermöglicht, dass sich vieles im Körpersystem wieder harmonisiert und neu ausrichtet
Das Ergebnis: spürbar mehr Beweglichkeit, Stärke, Leichtigkeit und Lebensfreude
Für weitere Fragen stehe ich gerne zur Verfügung.
Marion Griessmair
UFO-startklar am 04.02.2026: Sarah Stoisser und Patrick Unterkircher
UFO-startklar am 25.03.2026: Magdalena Amhof

NIEDERDORFER KARTOFFELFEST UND KARTOFFELWOCHE
GENUSS TRIFFT AUF GEMEINSCHAFT
Ende September stand in Niederdorf wieder alles im Zeichen der Kartoffel. Beim 14. Niederdorfer Kartoffelfest und der begleitenden Kartoffelwoche genossen Einheimische und Gäste regionale Spezialitäten, Musik und gesellige Stunden. Rund um den Von-Kurz-Platz boten Bäuerinnen und Köche herzhafte und süße Ge-
richte an – von Spätzle mit Kartoffelspeck über Käsevariationen bis hin zu Zwetschgenknödeln und Apfelstrudel. Für musikalische Stimmung sorgten mehrere Gruppen aus dem Pustertal, während ein abwechslungsreiches Kinderprogramm für Unterhaltung bei den jüngsten Gästen sorgte. Großen Zuspruch fand auch der Bauernmarkt
NEUE JUGENDHANDWERKERGRUPPE GEGRÜNDET
mit frischen Produkten aus der Region. Das Fest, das inzwischen als „Green Event“ zertifiziert ist, setzte erneut auf Nachhaltigkeit und regionale Wertschöpfung. Das Niederdorfer Kartoffelfest bestätigte einmal mehr seinen Ruf als beliebtes Herbstereignis im Pustertal – und viele freuen sich bereits auf die nächste Ausgabe im September 2026. // rewe
JUNGE KRÄFTE TATKRÄFTIG FÜR DAS HANDWERK
Im Bezirksbüro des Landesverbandes der Handwerker (LVH) in Bruneck wurde kürzlich die Junghandwerkergruppe Unterpustertal–Gadertal ins Leben gerufen. Die Gründung markiert einen wichtigen Schritt für die Zukunft des Handwerks in der Region und soll jungen Fachkräften eine gemeinsame Plattform bieten. „Es freut mich besonders, dass wir heute diese Gruppe offiziell gründen konnten. Das ist ein starkes Zeichen für Engagement und Zusammenhalt“, erklärte Bezirksobmann Davide Complojer. Unterstützung kam von Priska Reichhalter, Landesobfrau der Junghandwerker, und Patrick Gampenrieder, Vizelandesobmann, die beide den Mut und die Motivation der jungen Generation hervorhoben. Zum ersten Bezirksobmann wurde David Zimmerhofer gewählt, an seiner Seite Giulia Larentis als Stellvertreterin. Das junge Team wird durch Alex Ploner (Kassier), Manuel Nagler (Schriftführer) sowie Lu-

Von links: Priska Reichhalter (Landesobfrau Junghandwerker, David Zimmerhofer (Bezirksobmann der Junghandwerker), Manuel Nagler (kniend, JHW), Lukas Aschbacher (Medaillons For Excellence, WorldSkills Lyon 2024), Davide Complojer (LVH-Bezirksobmann), Alex Ploner (JHW), Giulia Larentis (Vizebezirksobfrau JHW), Patrick Gampenrieder (Vizelandesobmann der JHW), Johann Zacher (JHW Landesausschuss), Stefan Breitenberger (kniend, Bronze WorldSkills Lyon 2024), Marco Miribung (JHW) und Markus Raffin (Delegierter der Gemeinde Bruneck). lvh
kas Aschbacher, Stefan Breitenberger und Marco Miribung komplettiert. Zimmerhofer betonte, dass die neue Gruppe ein Ort des Austauschs und der Zusammenarbeit werden soll: „Wir wollen zeigen, wie viel Energie und Kreativität im Handwerk steckt und dass junge Menschen be-
reit sind, Verantwortung zu übernehmen.“ Mit dieser Gründung setzen die Junghandwerker ein deutliches Signal für Aufbruch und Gemeinschaft. Sie geben damit auch ein Zeichen für eine Zukunft, in der das Handwerk im Unterpustertal und Gadertal auch in jungen Händen liegt. // rewe

Zahlreiche Gäste und Mitglieder waren zur netten Feierstunde nach Montal gekommen.
NAZZARENO MEDEI BEI IPA-FEIER GEEHRT
FÜR 30 JAHRE STARKES ENGAGEMENT GEWÜRDIGT
Im Rahmen des traditionellen Treffens der International Police Association (IPA) in Montal wurde heuer ein besonderer Höhepunkt gesetzt: Nazzareno Medei aus Bruneck erhielt eine Auszeichnung für seine 30 Jahre lange Mitgliedschaft und sein unermüdliches Engagement. In Anwesenheit zahlreicher Mitglieder und Gäste überreichte der Präsident der IPA-Sektion, Franz Winding, begleitet von seinen eifrigen Mitstreitern, die Ehrenurkunde. Mit dieser Würdigung dankte die Vereinigung Medei für seine langjährige Treue und seinen aktiven Beitrag zum Vereinsleben. Die Feier bot neben der Ehrung auch Gelegenheit zum geselligen Austausch. Musik, überaus schmackhafte Kulinarik und ein kameradschaftliches Miteinander prägten die Veranstaltung. Diese wurde von vielen einmal mehr als echter Beweis für den lebendigen Zusammenhalt innerhalb der IPA ge-

Dr. Med KARIN BOTCHEN
Fachärztin für physikalische und rehabilitative Medizin
St. Georgen, Ahraue 12b Tel. 0474 830 494 Mobil 346 621 68 84 info@botchen.it

Von links: Roberto Lazzeri, IPA-Landespräsident Pasquale Quercia, der Geehrte Nazzareno Medei, IPAVizepräsident Reinhold Purdeller und IPA-Präsident Franz Winding.
wertet, die mittlerweile 150 Eingeschriebene zählt. Ein wahrhaft toller Erfolg!
Mit der Auszeichnung für Medei setzte die IPA nicht nur ein Zeichen der Wertschätzung für persönliche Leistungen, sondern unter-
Bandscheibenprobleme
Frau Dr. Botchen, sind Probleme mit den Bandscheiben häufig?
Im Verhältnis haben viele Menschen (ca. 80%) einmal oder öfter im Leben Rückenprobleme. Davon ist die Anzahl von Bandscheibenvorwölbungen oder –vorfällen eher weniger häufig, dafür aber meist schmerzhaft und quälend. Die Lendenwirbelsäule ist deutlich öfter betroffen als die Halswirbelsäule.
strich zugleich ihre Rolle als internationales Netzwerk, das Freundschaft, Kameradschaft und Verbundenheit über Grenzen hinweg aktiv lebt. Herzliche Gratulation auch vom gesamten PZ-Team! // Reinhard Weger

Was sind Ursachen von BS-Problemen?
Was deutet auf BS-Probleme hin?
Schmerzen in der betroffenen Region – Rücken oder Nacken, Ausstrahlung in Arme, Beine, Gesäß, Kraftminderung oder Lähmungserscheinungen, eingeschränkte Beweglichkeit, Taubheitsgefühl, Kribbeln oder Missempfindungen. Auch Schwindel und Kopfschmerzen, sowie hartnäckige Muskelverspannungen gehören zu den Symptomen.
Ein wichtiger Faktor ist Stress. Dann auch Über- und Fehlbelastung, Bewegungsmangel, Übergewicht, Abnutzung und Veranlagung.
Wie kann man unternehmen?
Das Feld der Therapien ist sehr groß. Zu den schonenderen, aber sehr wirkungsvollen Methoden gehören: Physiotherapie, Osteopathie, Rückenschule, Muskelaufbau, richtiges
Liegen z.B. im Bett und Sitzen z.B. am Arbeitsplatz, Wärmeoder Kälteanwendungen und Akupunktur. Auch Schmerztabletten werden oft genommen. Häufig wird zusätzlich mit Infiltrationen gearbeitet. Hierbei gibt es die herkömmlichen Schmerzmittel oder auch das Gas Ozon. Das wird dann in die Rückenmuskeln infiltriert und verteilt sich da hin, wo es gebraucht wird. Wenig bekannt ist die Infusion mit Quinton – ein Meerwasserprodukt, das alle Stoffe enthält, die unser Organismus braucht. Es wird unter die Haut eingebracht und wirkt über viele Stunden – schmerzlindernd, lockernd, aufbauend. Mit diesem Vorgehen kann eine Operation oft vermieden werden. Nötig wird sie bei akuten Lähmungen oder wenn Blasen-Darm-Störungen auftreten.

RÜCKBLICK UND AUSBLICK
Pustertaler Handwerk als kräftiger Zukunftsmotor
Bei der Bezirksversammlung der Unterpustertaler und Gadertaler Handwerker im LVH standen die Förderung junger Talente, die Bedeutung des Handwerks und der Dank an langjährige Wegbegleiter im Mittelpunkt. Bei der schönen Feier auf Schloss Bruneck waren viele Delegierte und Ehrengäste mit dabei.
von Reinhard Weger
Der LVH-Bezirksobmann vom Unterpustertal und Gadertal, Davide Complojer, zog bei der diesjährigen Bezirksversammlung eine positive Bilanz. Insgesamt 32 Handwerkerinnen und Handwerker aus den beiden Bezirken wurden bei den letzten Gemeindewahlen in lokale Gremien gewählt. Complojer dankte allen Gewählten für ihr Engagement und ihren Einsatz für das Handwerk.

Besonderen Rückblick hielt er auf die KidsAcademy, die in Bruneck über zwei Wochen lang stattfand und mehr als 50 Kinder für handwerkliche Berufe begeistern konnte. Das größte Projekt war jedoch das „Abenteuer Handwerk“, an dem rund 2.000 Kinder und ihre Familien teilgenommen haben. Complojer bedankte sich bei den Gemeinden für die finanzielle Unterstützung und richtete seinen Dank stellvertretend an den anwesenden Präsidenten der Bezirksgemeinschaft, Robert Alexander Steger. Bedauerlich sei hingegen das Ende der Tiphotel/Tipworld, die viele Jahre ein wichtiger Treffpunkt für das Handwerk im Pustertal war. Lobende Worte fand Complojer für die erfolgreichen Teilnehmerinnen und Teilnehmer der Landesmeisterschaften aus dem Bezirk.
EINE REGE TÄTIGKEIT
Anschließend berichteten auch die Vertreterinnen und Vertreter der verschiedenen LVHGruppen über ihre Tätigkeiten. Helene Pescoll, Sprecherin der Frauen im Handwerk, erinnerte an das 40-jährige Bestehen der Organisation, an den Sommerausflug nach Sizilien und kündigte den Infoabend zum Thema Geldanlage sowie das traditionelle Weihnachtsessen an. Günther Gremes, Vertreter der Althandwerker im Unterpustertal/ Gadertal, berichtete vom gelungenen Ausflug zum Heilig-Kreuz-Kofel und lud zum be-
vorstehenden Törggelen ein. Im Oberpustertal hob Gregor Seyr die große Bedeutung der Althandwerker im Verband hervor. Neu gegründet wurde zudem die Junghandwerkergruppe Unterpustertal/Gadertal, deren Vorsitz nun David Zimmerhofer innehat. Auch die Landesebene war stark vertreten: LVH-Präsident Martin Haller bedankte sich bei allen Funktionären und besonders bei Günther Gremes für sein langjähriges Engagement bei der Tiphotel/Tipworld. Er verwies auf die Bedeutung des Handwerks in der Gemeindearbeit und kündigte weitere Treffen mit Bürgermeisterinnen und Bürgermeistern an. Vizepräsident Hannes Mussak stellte die Initiative „Zukunft in deiner Hand“ vor und berichtete von den Erfolgen bei den Handwerks-Europameisterschaften „EuroSkills“ und den Landesmeisterschaften. Direktor Walter Pöhl betonte hingegen die laufende Modernisierung der Bezirksbüros und des Hauptsitzes sowie die Notwendigkeit von Weiterbildung und Digitalisierung im Handwerk.
EHRUNG ALS HÖHEPUNKT
Ein besonderer Moment war die Verleihung der goldenen Ehrennadel an Isidoro Clara für seine langjährige Tätigkeit als Ortsobmann in St. Martin in Thurn. Clara dankte für die Unterstützung und den Zusammenhalt innerhalb des Verbandes.
Zahlreiche Gäste und Delegierte waren im großen Saal auf Schloss Bruneck mit dabei. rewe

Von links: Walter Pöhl (LVH-Direktor), Robert Alexander Steger (Präsident der Bezirksgemeinschaft Pustertal), Hannes Mussak (LVH-Vizepräsident), Ester Demetz (LVH-Büroleiterin Berufe und Bezirke), Davide Complojer (LVH-Ortsobmann Unterpustertal/Gadertal), Martin Haller (LVH-Präsident) und Felix Nagler (Bürgermeister Wengen). rewe
Als Ehrengast würdigte Bezirksgemeinschaftspräsident Robert Alexander Steger das Handwerk als „tragende Säule der Wirtschaft“ und dankte für die vielfältigen Initiativen, insbesondere für Kinder und Jugendliche. Er sprach sich für mehr Unterstützung der Peripherie aus und betonte die Bedeutung von Selbstständigkeit und Unternehmertum. Auch Felix Nagler, Handwerker, Bürgermeister und Vizepräsident des Südtiroler Gemeindenverbandes, schloss sich den Dankesworten an und unterstrich den hohen gesellschaftlichen Wert der Handwerksberufe. Im Anschluss gab es verschiedene Wortmeldungen, die als perfekter Querschnitt aus dem handwerklichen Leben gelten können. Unter anderem wurde ins Feld geführt, dass oft „Arbeitsinspektoren“ auf die Baustellen
RaiffeisenFlash

Renefit – das perfekte Weihnachtsgeschenk
Was ist Renefit?
„Renefit“ ist eine digitale Gutscheinkarte, die von der Raiffeisen Landesbank Südtirol als Benefit-Instrument für Mitarbeitende eines Unternehmens angeboten wird. Ob Einkaufen, Tanken, Freizeitgestaltung – die Gutscheinkarte ist dank digitaler Wallet immer dabei. Schnell und einfach in der Anwendung, bietet sie den Nutzern unzählige Zahlungsmöglichkeiten in Südtirol, Italien und im Ausland. Kurz gesagt überall dort, wo auch Mastercard akzeptiert wird.
Wer kann Renefit beantragen?
Die digitale Gutscheinkarte kann vom Arbeitgeber*in, sprich von
jedem Betrieb bzw. Unternehmen in Südtirol, über das Renefit Online Portal oder Ihre Raiffeisenkasse vor Ort beantragt werden.
Welchen Vorteil bietet Renefit?
Renefit fällt unter die Kategorie der sogenannten „Fringe Benefits“ und unterstützt die Bindung und Motivation von Mitarbeitenden. Arbeitgeber*innen können ihren Mitarbeitenden steuerfreie Gutscheine gewähren, was die Zufriedenheit steigert und die Loyalität fördert. Gleichzeitig reduziert es die Lohnnebenkosten des Unternehmens. Mitarbeitende profitieren von den aktuell in Italien geltenden Steuer- und Sozialversicherungsfreibeträgen.
Sie erhalten Renefit als Leistung der Arbeitgeber*innen direkt via App oder digitaler Wallet. Die Renefit-App bietet einen klaren Überblick über den Guthabenstand und den Transaktionsverlauf und ermöglicht eine einfache Verwaltung.
Fazit
Renefit bietet Unternehmen eine moderne, digitale Möglichkeit, steuerlich attraktive Zusatzleistungen zu gewähren, die für Mitarbeitende unkompliziert und flexibel nutzbar sind und somit das perfekte Weihnachtsgeschenk darstellen.
kämen, die von „Tuten und Blasen keine Ahnung haben“. Auch die Probleme in den Berufsschulen kamen zur Sprache. Die Bezirksversammlung machte aber eines deutlich: Das Handwerk im Pustertal und Gadertal blickt nicht nur auf eine erfolgreiche Vergangenheit zurück, sondern gestaltet aktiv die Zukunft. So kann es weitergehen! //

Petra Neunhäuserer Beraterin Kommerzcenter
Werbeanzeige
Große Ehre: Isidoro Clara (Zweiter von links) wurde mit der goldenen Ehrennadel ausgezeichnet. rewe

INNICHEN
Ein toller Sommer
Heuer war im Sommer in Innichen wieder einiges los. Traditionsgemäß startete die Sommersaison mit dem Chörefestival, das Mitte Juni stattfand. Rund 3.000 Sängerinnen und Sänger aus aller Welt erfüllten das Pustertal mit Musik. Besonders eindrucksvoll war der Umzug der Chöre am Samstag, der zahlreiche Besucherinnen und Besucher anlockte. Das nächste Highlight folgte mit dem Marktlfest: motivierte Vereine, ausgezeichnete Speisen und eine ausgelassene Stimmung machten das Fest zu einem echten Höhepunkt des Sommers. An drei Donnerstagen luden die Dorfplatzfreuden zum gemütlichen Beisammensein. Bei feiner Musik und kulinarischen Schmankerln wurde der Dorfplatz zum beliebten Treffpunkt an lauen Sommerabenden. Mitte Juli hieß es Bühne frei für Kreativität, Kunst und Kultur, beim Malwettbewerb für Frauen „Die Frau in der Kunst“.
DIE BUNTE VIELFALT
Ende Juli sorgte das Straßenkunstfestival Olala für Begeisterung – heuer erstmals

mit der „fliegenden Pianistin“ bereits am Montag. Der große Olala-Nachmittag am Freitag fiel leider teilweise ins Wasser.
Im August ging es kulturell hochkarätig weiter: Die fünfte Ausgabe des Filmfestivals „Schermi in arte“ lockte mit dem Besuch des bekannten Regisseurs Luca Verdone. Zudem fanden den Sommer über mehrere Konzerte statt – von den Musikkapellen über Matineekonzerte bis hin zu einem besonderen Kirchenkonzert. Leider regelrecht ins Wasser fiel auch das 20-jährige Jubiläum der Big Band Intica. Im September stand der Sport im Mittelpunkt: Bei der Eroica Dolomiti nahmen 400 Radlerinnen und Radler aus der ganzen Welt teil und genossen den besonderen Radausflug durch die Dolomiten. Nicht mehr wegzudenken ist außerdem die Heugabel, der traditionelle Handwerks- und Bauernmarkt


mit Beteiligung aller drei bäuerlichen Organisationen – der Bauernjugend, der Bäuerinnen und der Senioren im Bauernbund. Heuer wurde auch wieder eine Spezialitätenwoche organisiert.
Anfang Oktober fand noch das DolomitiGourmet-Festival, mit Gourmet Walk von Restaurant zu Restaurant im historischen Ortskern, Hüttenabend in der Jora Hütte und Abschlussfest am fünften Oktober in der Riese Haunold-Hütte und der Plotza Kirta am Pflegplatz statt. Ob Kultur, Musik oder Feste – in Innichen ist immer etwas los. // ha


Camilla
Pizzini
Daniel Toechterle lunah-photo&design
Wisthaler
Stefanie P.
Die Kunden im Mittelpunkt
Nach der kleinen Feier zum einjährigen Bestehen des Hörzentrum Südtirol konzentriert sich das Team im Hörzentrum in Bruneck wieder vollkommen auf die Kunden. Die Kunden-Zufriedenheit steht auf dem obersten Platz einer gesamten Rangliste, die abgearbeitet wird. Selbstbewusst und professionell schreitet das Team mit großen Schritten diesem Ziel entgegen.
Hörgeräte anpassen heißt leider nicht, dass jeder jedes Hörgerät tragen kann. Wichtigstes Kriterium beim Anpassen von Hörgeräten ist die Art der Schwerhörigkeit, gefolgt von der Fingerfertigkeit des Kunden und auch von der Beschaffenheit des Hörkanals. Letzteren erkunden wir vor jedem (kostenlosen) Hörtest. Die Schwerhörigkeit ist das wichtigste Kriterium bei der Auswahl der Hörgeräte. Es gibt sehr viele Menschen (und aufgrund des anhaltenden Lärms in unserer Umgebung werden es immer mehr), die auf den hohen Tönen viel weniger hören als auf den tiefen Tönen. Dies hat zu Folge, dass eine


Unser Hörzentrum in der Stadtgasse.
bestimmte moderne Art von Hörgeräten zum Einsatz kommt. Das Hörgerät sitzt hinter dem Ohr, ins Ohr wird nur ein sehr kleiner Lautsprecher platziert, der genau nur jene Töne verstärkt, die zu verstärken sind. Die anderen Töne werden weniger oder
teilweise gar nicht verstärkt und kommen auf natürlichem Weg ans Ohr. So erhalten wir die sogenannte offene Anpassung. Sollten neben den hohen Tönen auch die tiefen betroffen sein, dann kann man auch In-dem-Ohr Geräte andenken, oder bei einer mittelbis hochgradigen Schwerhörigkeit sogar die klassischen Hinterdem-Ohr Geräte mit Ohrpassstück und Schallschlauch. Oberstes Ziel der Hörakustiker vom Hörzentrum Südtirol ist es, dass jeder Kunde und jede Kundin mit den für ihn oder ihr idealen Hörgeräten das Hörzentrum verlässt. Dass manchmal andere Kriterien auf der Strecke bleiben, die vielleicht im ersten Moment den Kunden als wichtig erscheinen, kann vorkommen. Auf lange Sicht hingegen ist die Wahl der richtigen Hörgeräte ein Zufriedenheitsfaktor, der nicht unterschätzt werden darf. // PR-Info
KOSTENLOSER HÖRTEST
Wann haben Sie das letzte Mal einen Hörtest gemacht?
Im Hörzentrum Südtirol ist dieser immer kostenlos und das Ergebnis wird jedes Mal sehr genau erklärt. Einen Termin erhalten direkt im Hörzentrum oder unter der Telefonnummer 0474 788033.
Aufgehorcht: Schauen Sie auch auf unsere Social-Media-Kanäle; neben informativem Inhalt gibt es auch einiges zum Schmunzeln! // Ramona Berger, Hörakustikerin
Die Adresse für Hörgeräte im Pustertal
Bruneck, Stadtgasse 9
Bruneck, Stadtgasse 9
Tel. 0474 788033
Tel. 0474 788033
www.hoerzentrum-suedtirol.it

‚EHEVERTRÄGE‘
– weitere Öffnung seitens des Obersten Gerichtshofs
§RA Dorothea Passler Schramm-Tschurtschenthaler Mall-Ellecosta Anwaltskanzlei www.schramm.it

Verbindliche vermögensrechtliche Abmachungen, welche im Zuge der Ehe oder noch vor Eheschließung für den Fall des Scheiterns der Beziehung getroffen werden (im Volksmund ‚Eheverträge‘ genannt), sind bekanntlich in Italien von Gesetzes wegen nicht möglich
Dieses Verbot, welches im Grunde auf die in Italien nach wie vor hochgehaltene traditionelle Interpretation der Ehe zurückgeht, wonach dieselbe eigentlich Bestand haben sollte, fußt auf der strikten Auslegung von Art. 160 ZGB, welcher vorsieht, dass die aus der Ehe entstehenden Rechte und Pflichten für die Ehepartner unabdingbar sind, will heißen: vertraglich nicht angetastet werden dürfen.
Noch im Jahr 2021 hat der Oberste Gerichtshof mit Entscheidung Nr. 11012/2021 diese seine traditionelle Auslegung der einschlägigen Bestimmungen bestätigt und erklärt, dass jedwede Vereinbarung wirtschaftlichen Inhalts (auch wenn äußerst günstig für den unterhaltsberechtigten Ehegatten), welche vorab, im Hinblick auf eine mögliche Trennung getroffen wird, wegen unerlaubten Rechtsgrundes (‚illiceità della causa‘) nichtig ist.
Wie aber bereits in einer der letzten Ausgaben berichtet, hat derselbe Kassationsgerichtshof zuletzt wiederholt Entscheidungen getroffen, welche eine - noch kleine - Öffnung der vertraglichen Freiheiten im Zusammenhang mit dem allfälligen Scheitern der Ehe andeuten.
So auch mit dem kürzlich ergangenen Beschluss Nr. 20415/2025, mittels welchem er eine Abmachung für rechtens erklärt hat, mittels welcher Ehepartner vereinbart hatten, dass der Ehemann im Fall der Trennung zur Rückerstattung der von der Ehegattin zwecks Restaurierung einer in seinem Eigentum stehenden Immobilie ausgelegten Beträge verpflichtet ist. Begründet wird die Entscheidung technisch-juridisch damit, dass es sich um einen atypischen Vertrag zwecks Regelung rechtsschutzwürdiger Interessen nach Maßgabe von Art. 1322 ZGB handele, welcher der aufschiebenden Bedingung der Ehetrennung unterworfen worden sei. In anderen Worten: die Ehetrennung ist nicht als Vertragsgrund zu erachten, sondern als Umstand, von dessen Eintreten die Wirksamkeit der Abmachungen abhängen.
Wir sind in Italien zwar noch weit von den - vor allem aus der Boulevardpresse bekannten - Eheverträgen nach angloamerikanischem Muster entfernt (man denke nur an die bekanntgewordenen detaillierten Abmachungen von Amazon-Chef Bezos anlässlich seiner letzten Eheschließung), der Trend zu mehr vertraglicher Freiheit der (künftigen) Ehepartner, deren Einzelinteressen bislang in Italien hinter dem ‚Familieninteresse‘ zurückstehen mussten, ist aber nicht mehr zu verleugnen. //
€DDr. Roland Stauder Wirtschaftsprüfer und Steuerberater Knollseisen & Partners www.knollseisen.com

Die Agentur der Einnahmen hat am 02. Oktober 2025 mit dem Rechtsgrundsatz Nr. 7/2025 eine wichtige Entscheidung veröffentlicht, die vielen Erben Erleichterung verschafft. Es geht um Immobilien, für die der verstorbene Eigentümer Steuervergünstigungen (Abschreibungen für Sanierungsmaßnahmen, Ecobonus, Superbonus und Bonus Verde) in Anspruch genommen hatte und die nun an seine Erben übergehen.
Ob solche Steuerabschreibungen bestehen, lässt sich einfach überprüfen: Ein Blick in die letzte Steuererklärung des Erblassers hilft weiter. In der Übersicht E des Steuererklärungsmodells „730“ bzw. in der Übersicht RP des Modells „REDDITIPF“ sind alle laufenden Steuerabschreibungen und Abzugsraten aufgelistet. So lässt sich schnell feststellen, ob und in welcher Höhe noch offene Steuervergünstigungen vorhanden sind, die auf die Erben übergehen können. Im Todesfall kann der Erbe die verbleibenden Abzugsraten nur übernehmen, wenn er die Immobilie tatsächlich besitzt und selbst nutzt (sogenannte detenzione materiale e diretta).
Der Rechtsgrundsatz Nr. 7/2025 der Steuerbehörde stellt nun klar, dass es nicht erforderlich ist, dass der Erbe bereits zum Zeitpunkt der Erbschaftseröffnung den unmittelbaren und tatsächlichen Besitz der Immobilie hat. Diese Bedingung ist von Jahr zu Jahr zu prüfen – mit der Folge, dass in manchen Jahren kein Anspruch auf den Abzug besteht, während in anderen Jahren der Anspruch bestehen kann. Erforderlich ist der unmittelbare Besitz der gesamten Immobilie für das gesamte Kalenderjahr (1. Januar –31. Dezember). Selbst wenn also nur ein Teil der Immobilie oder nur für einen Teil des Jahres an Dritte vermietet wird oder auch kostenlos zur Verfügung gestellt wird, kann der Abzug für dieses Jahr nicht genutzt werden. Sobald der Erbe jedoch in einem späteren Jahr die gänzliche Nutzung übernimmt – etwa nach Ende eines Miet- oder Leihvertrags – darf er die verbleibenden Abzugsraten in Anspruch nehmen. Wenn mehrere Erben vorhanden sind, steht die gesamte Steuerabschreibung nur denjenigen Erben zu, welcher die Immobilie tatsächlich nutzt und besitzt; die übrigen Erben sind ausgeschlossen.
Fazit:
Die neue Auslegung bringt mehr Rechtssicherheit und Fairness für Erben. Wer eine Immobilie mit Steuervergünstigungen erbt, verliert den Anspruch nicht automatisch, wenn er sie zunächst nicht selbst nutzt. Entscheidend ist allein, dass die tatsächliche Nutzung im betreffenden Steuerjahr besteht.


KUNST-CAFE PINTA PICHL IN BRUNECK
KUNST,
LICHT UND EMOTION
Ein Hauch von Vielfalt, Intensität und Farbe lag in der Luft, als vor Kurzem die Ausstellung „inside Color“ von Mirta De Simoni Lasta im Cafè/Atelier Pinta Pichl in Bruneck feierlich eröffnet wurde. Zahlreiche Kunstfreunde fanden sich ein, um gemeinsam mit der Künstlerin und dem Publikum in eine Welt aus Schatten, Strukturen und gefühlvoller Farbigkeit einzutauchen. Die Gemeindepolitik war durch Stadtrat Daniel Schönhuber und Gemeinderatspräsident Reinhard
Weger vertreten. Durch Licht, Reflexionen und Präsenz wurde die Ausstellung jedenfalls lebendig. Die Räume verschmolzen mit den Werken, die Formen mit den Blicken und die Emotionen mit der Stille. Es war ein Kunstabend, der spürbar in Erinnerung bleibt.

Die Ausstellung war in der lokalen Kunstszene bereits mit Spannung erwartet worden. Sie bleibt noch bis zum 15.11.2025 zu-
gänglich. Ein Besuch lohnt sich. Denn Kunst lebt durch Menschen, die sie sehen, fühlen und auch teilen. // rewe


In der Bildmitte Mirta De Simoni Lasta und Wirtin Marlene Pizzinini. Barbara Willimek, Reinhard Weger, Daniel Schönhuber und Georg Egger.
Das Ladinische in seiner kreativen Bandbreite
Am 21. September 2025 fand in St. Martin in Thurn der „Di dla Cultura Ladina“ statt, ein Tag im Zeichen der ladinischen Kultur mit einem vielfältigen Veranstaltungsprogramm aus verschiedensten Bereichen wie Literatur, Kunst, Musik sowie mit einem kreativen MitmachProgramm – alles in allem ein buntes Fest, das unter dem Motto „Mythen und Legenden Ladiniens“ stand.
von Judith Steinmair
Als Auftakt stand am Vormittag ein wissenschaftliches Symposium im Istitut Ladin Micurá de Rü auf dem Programm, mit Beiträgen von Pier Luigi Petrillo (Universität La Sapienza in Rom) sowie Expertinnen und Experten wie Ulrike Kindl (Universität Venedig), Giovanni Mischí und – in einer von Ruth Videsott (Freie Universität Bozen) geleiteten Podiumsdiskussion – Fabio Chiocchetti, Clara Mazzi, Cesare Poppi und Roland Verra. Am Nachmittag fand dann im Museum Ladin Ciastel de Tor der kreative Nachmittag statt, der von zahlreichen interaktiven Beiträgen geprägt war. In den verschiedenen Räumlichkeiten des Museums gestalteten zahlreiche ladinische Kulturorganisationen und -vereine ein buntes Programm für Groß und Klein. Zur Auswahl standen eine Schreibwerkstatt mit Nadia Rungger (Zeitschrift Gana), ein Malatelier mit Fernando Brunel (Union di Ladins de Fascia), kreative Illustration mit Silvia Baccanti, ein Büchermarkt (Uniun di Ladins Val Badia), die interaktive Performance Potato Talks von Mirna Bamieh (Biennale Gherdëina), eine Kunstausstellung mit Albert Mellauner und Anna Maria Mayr, eine Gedichtelesung von Simon Josef Rubatscher (EPL – Ert por i Ladins), offenes Singen mit Erika Mussner und Martina Rifesser (Comunanza Ladina de Bulsan), interaktive Sagenlesungen mit Erica Senoner und Otto Dallago, Nacherzählungen und musikalische Neu-Interpretationen von Sagen durch Alberta Rossi, Rebecca Sandri, Roberto Dellantonio und Stefano Caniato (Union di Ladins de Gherdëina), die Buchvorstellung „Ladinische Sagen der Dolomiten” mit Milva Mussner und Erzählungen mit Simon Kostner (Union Generela di Ladins dles Dolomites), eine interaktive Museumsführungen, u.a. mit einem Detektivspiel für Kinder (Museum Ladin), Führungen im „Val

Große Ehre unter dem passenden Motto „Mythen und Legenden Ladiniens“. Vanessa Runggaldier
dl’Ert / Tal der Kunst“ (SMACH) sowie verschiedene Filmvorführungen (La Vëta und andere Vereine). Zudem wurden Zeichnungen und Malereien von den Betreuten des Sozialzentrums La Spona ausgestellt, die eigens für diesen Anlass gestaltet und von ladinischen Sagen und Mythen inspiriert wurden. Das Angebot ließ in seiner Fülle also keine Wünsche offen und zeigte eindrucksvoll das breite Spektrum ladinischer Kultur!
NEUE AUSZEICHNUNGEN
Ein besonderer Höhepunkt der Veranstaltung war zudem die Verleihung der Ehrung „Merit Ladin“ an den in Bruneck lebenden Linguisten Dr. Lois Craffonara sowie die Prämierung des Wettbewerbs Ert X Merit Ladin (in Zusammenarbeit mit dem Südtiroler Künstlerbund) mit dem Grödner Künstler Georg Prugger als Gewinner. Anschließend wurde auf dem Platz vor dem Istitut Ladin
noch bei Speis und Trank gefeiert, bevor der Tag mit dem sogenannten Kultursalon ausklang. Kurze Lesungen von den Autorinnen und Autoren Rut Bernardi, Silvia Liotto, Alberta Rossi und Iaco Rigo wechselten sich ab mit Musik der Gruppe GOTA (Katia und Jan Moling), die Kuratorin Katharina Moling besprach im Dialog mit den Künstlern Werke von Silvia Baccanti (Wandmalerei im Saal) und Christian Verginer (Skulptur), der Schauspieler Lukas Spisser rezitierte Sagen, und es wurde die Uraufführung der Performance „l fova n iëde“ (Es war einmal) - ein „canto diviso für Tänzerin, Perkussionsten und fixed media“ des ladinischen Komponisten Eduard Demetz, interpretiert von Anastasia Kostner und Hannes Vonmetz zum Besten gegeben. Den Abschluss des intensiven Tages der ladinischen Kultur bildete schließlich der musikalische Ausklang mit „Mujiga anterores“.
DR. LOIS CRAFFONARA UND SEINE VERDIENSTE UM DAS LADINISCHE
Erst im Juli hatte die Südtiroler Landesregierung die Einführung der neuen Auszeichnung „Merit Ladin“ beschlossen, mit dem Ziel, außerordentliche Verdienste in der wissenschaftlichen Erforschung, der Vermittlung sowie im künstlerischen Schaffen im Bereich der ladinischen Sprache und Kultur zu würdigen. Der erste Träger dieser Auszeichnung ist der über die Grenzen Südtirols hinaus bekannte Linguist Dr. Lois Craffonara. Die Expertenjury (André Comploi/Direktor der Ladinischen Bildungsund Kulturdirektion, Jürgen Runggaldier/


Weihnachtsausstellung
Samstag, 8. November 25 durchgehend von 08–18 Uhr geöffnet

Weihnachtliche Dekorations- und Bastelideen von und mit unserem Deko-Team papyrex.gmbh Schminken und Steinmalerei mit Magdalena Frenner steinmalerei.magdalenafrenner magdalenafrenner
Direktor des ladinischen Kulturinstituts „Istitut Ladin Micurá de Rü“, Katharina Moling/Direktorin des „Museum Ladin Ciastel de Tor“, Sabrina Rasom/Direktorin des „Istitut Cultural Ladin Majon di Fascegn“ sowie Paul Videsott/ordentlicher Professor an der Ladinischen Abteilung der Fakultät für Bildungswissenschaften der Freien Universität Bozen) schreibt in ihrer Begründung unter anderem: Dr. Lois Craffonara gilt unbestritten als Doyen der ladinischen Sprachwissenschaft. Er war der erste Direktor des „Istitut Ladin Micurá de Rü“, darüber hinaus aber auch Mitbegründer und langjähriger Herausgeber der international anerkannten Fachzeitschrift „Ladinia“. Seine zahlreichen Studien und PubliBruneck (BZ) - Tel. (+39) 0474 411 113 - info@papyrex.it - www.papyrex.it


Fotos: Vanessa Runggaldier


Im Rahmen des großen Festaktes wurde eine ganze Reihe an hochkarätigen Veranstaltungen mit der gesamten kulturellen Bandbreite geboten.
kationen in den Bereichen Linguistik, Geschichte, Kunstgeschichte und Literatur haben weit über die Grenzen Ladiniens hinaus Wirkung gezeigt. „Die Entscheidung der Expertenjury begrüße ich sehr: Lois Craffonara hat nicht nur herausragende wissenschaftliche Leistungen erbracht, sondern auch wesentlich zur Vermittlung und Weitergabe unserer Sprache und Kultur beigetragen. Er hat stets über den eigenen Tellerrand hi-
LOIS CRAFFONARA Die
nausgeblickt, den Austausch mit anderen Minderheiten gesucht und die Verbindung zu unseren rätoromanischen Verwandten in Graubünden und im Friaul entscheidend gestärkt. Damit ist er ein hochverdienter erster Träger des ‚Merit Ladin‘“, betonte Landesrat Daniel Alfreider bei der Verleihung. Und Bildungs- und Kulturdirektor André Comploi ergänzte: „Lois Craffonara hat auch über seine Forschungen und Publikationen hi-
naus das ladinische Identitätsbewusstsein geprägt und – nicht nur im Bereich der Neologismen – entscheidend zur Verankerung der Sprache im Alltag der Ladinerinnen und Ladiner beigetragen. Die Auszeichnung soll nun sein umfassendes Wirken ehren und zugleich als Vorbild und Ansporn für das Engagement im Dienste der ladinischen Sprache und Kultur hervorheben.“ //
PZ hat sich mit dem Preisträger zum Gespräch getroffen:
PZ: Gratulation zur Auszeichnung „Merit Ladin“, die heuer zum ersten Mal vergeben wurde und so viel heißt wie „Verdienst ums Ladinische“ – es war auch durchaus an der Zeit, bei uns in Südtirol so eine Auszeichnung ins Leben zu rufen, oder? Und es ist ja auch eine persönliche Genugtuung?
Lois Craffonara: Ja, natürlich, eine Auszeichnung ist immer eine Anerkennung für die geleistete Arbeit. Ganz allgemein halte ich diese Auszeichnung für eine schöne Sache, weil ich denke, dass es auch ein guter Anreiz gerade für junge Menschen ist, sich vermehrt für das Ladinische zu interessieren.
Wenn man von der ladinischen Sprachwissenschaft redet, fällt unweigerlich Ihr Name. Sie haben sich seit jeher mit der ladinischen Sprache auseinandergesetzt. Hat Sie das schon zu Studienzeiten interessiert, oder wie ist Ihr (beruflicher) Werdegang?
Eigentlich hätte mein Leben in eine andere Richtung verlaufen sollen, denn zunächst habe ich vier Jahre lang Theologie studiert mit dem Ziel, in die Mission zu gehen, daraus wurde aber nichts. Im Anschluss daran habe ich dann noch Sprachwissenschaften in Padua studiert, ich habe dann aber noch vor meinem Abschluss und der Dissertation zu unterrichten begonnen, zuerst in der Mittelschule in St. Martin in Thurn, dann in der Handelsschule Bruneck. Mit der ladinischen Sprache hatte ich mich schon länger befasst, aber mit meiner Anstellung im ladinischen Kulturinstitut ist mein Interesse und mein Engagement für die ladinische Sprache natürlich nochmals gestärkt worden.
Gab es denn in der Hinsicht ladinische Sprachwissenschaften schon Material?
Nun, es gibt durchaus einige Publikationen aus früheren Zeiten, einige davon sind sehr gut, andere weniger, viele eher spezifisch… Bereits im Jahre 1873 hat beispielsweise Graziadio Isaia Ascoli mit „Sangeli ladini“ ein wichtiges Werk herausgegeben, in welchem er sich mit der Thematik auseinandergesetzt hat, für jene Zeit ein interessantes Werk, wobei dieses aber nicht nur auf Dolomitenladinien konzentriert war, sondern auch das Friaulische und Bündnerische mit einband. Erwähnenswert ist in diesem Zusammenhang sicherlich auch Theodor Gartner mit seiner wissenschaftlichen Arbeit

über die rätoromanische Grammatik, herausgegeben im Jahre 1883. Und dann gab es natürlich auch einige Sprachwissenschaftler von hier, wie etwa Micurà de Rü, nach dem ja das Institut benannt ist. Er hat im Jahre 1833 als erster versucht eine interladinische Schriftsprache zu erstellen, was aber von der Bevölkerung nicht angenommen wurde. Wobei diesbezüglich erwähnt werden muss, dass das Manuskript damals nicht für alle zugänglich war, da es nicht gedruckt wurde, das haben wir erst mit dem Institut in die Wege geleitet. Interessant ist dann sicherlich auch der Fassaner Antone Vian, ein Geistlicher in Gröden, der eine Grammatik des Grödnerischen herausgegeben hat. Oder aber auch Ujöp Mischí, der über die deutschen Entlehnungen im Ladinischen geschrieben hat. Und nicht zu vergessen den Sprachwissenschaftler Johann Baptist Alton und seine Publikationen. Es gab also durchaus einige, die sich um die ladinische Sprache bemüht haben. Und dann kam ja das Ladinische Institut…
Genau. Ein wichtiger Meilenstein für die ladinische Sprache und Kultur war dann sicherlich die Eröffnung und fortan die Arbeit dieses Instituts?
Auf alle Fälle. Das Istitut Ladin Micurá de Rü hat seine Tore im Jahre 1977 geöffnet und hatte den Auftrag, sich der ladinischen Sprache und Kultur anzunehmen und diese wissenschaftlich aufzubereiten, zu erhalten und zu fördern. Nicht von allen war allerdings zu jener Zeit die entsprechende Notwendigkeit und Wichtigkeit gesehen, und es gab durchaus einige Hürden. Ich wurde als erster Di-
Lois Craffonara Vanessa Runggaldier

Aufstellung zum PZ-Gruppenbild: Sie alle freuten sich sehr über den großen Erfolg dieser denkwürdigen Veranstaltung. Vanessa Runggaldier
rektor eingesetzt und habe diese Funktion dann 16 Jahre lang ausgeübt, mit allen Herausforderungen, die sich ergeben, wenn etwas Neues aufgebaut wird: Raum-, Struktur- oder Personalprobleme u.ä. Wir hatten beispielsweise zu wenig Platz, gerade für ein umfangreiches Archiv usw. Den Umzug in den heutigen Standort/Sitz habe ich dann ja nicht mehr aktiv miterlebt. Der ladinischen Sprache habe ich mich dann aber weiterhin als Privatperson gewidmet.
Nun schreibt die Jury in ihrer Begründung unter anderem auch: Als erster Direktor des „Istitut Ladin Micurá de Rü“ gelang es ihm, durch seine Forschungen die Eigenständigkeit des Ladinischen als romanische Sprache zu festigen und damit die damals in der akademischen Welt verbreiteten gegenteiligen Positionen zu widerlegen. Können Sie uns das näher erläutern?
Wir befinden uns da in der Zeit der Blüte der sogenannten „Ladi nischen Frage“. Es gibt Menschen, die schon früher die Eigenstän digkeit des Ladinischen hervorgehoben haben, andere wiederum haben das bestritten, die Materie ist ja recht komplex. Geografisch war eine Einheit der ladinischen Gebiete, so wie wir sie heute ken nen mit Dolomitenladinien, Graubünden und Friaul, ja schon frü her entsprechend ein- beziehungsweise zugeteilt worden. Sprach wissenschaftlich sah das Ganze allerdings anders aus. In der Zeit des italienischen Irredentismus mit Carlo Battisti und seiner Schu le durfte alles, was romanisch war, keine eigenständige Sprache, sondern lediglich ein italienischer Dialekt sein, folglich auch das Ladinische. Die Linguisten der damaligen Zeit waren quasi alle auf seiner Seite, und auch über die Grenzen hinaus hat diese Schule dann leider Anhänger gefunden. Ich habe mich dann mit der Bat tisti-Schule „angelegt“, Fehler gesucht und mit Publikationen dem entgegen zu wirken versucht. Zuerst wurde ich nicht wirklich ernst genommen, aber mit der Zeit haben meine wissenschaftlichen Arbei ten Anklang gefunden, und heutzutage ist diese Battisti-Strömung nur mehr sehr vermindert vertreten.
Wie steht die ladinische Sprache und Kultur in unserem Land also heutzutage da? Wird den Ladinerinnen und Ladinern und ihrer Kultur der gebührende Stellenwert eingeräumt? Es hat sich tatsächlich so einiges getan in unserem Land. Vor allem, was den Stellenwert betrifft, auch bei der ladinischen Bevölkerung selbst. Man ist stolz auf die eigene Sprache, auf die eigene Kultur und auf die Wurzeln, die weit zurückreichen. Das war nicht immer so. Wichtige Schritte wie etwa die Verwendung des Ladinischen in den Schulen und in der Liturgie oder die Anerkennung als Amts sprache stellen eben auch eine Bereicherung der Sprache dar. Der Punkt ist der: Ein Volk überlebt, wenn es überleben will. Der ent sprechende Wille ist für jede Minderheit das Wesentliche, program mierte Genozide oder ähnliches mal ausgenommen. Die Herausfor derung ist es dementsprechend auch, diese Flamme weiterhin am Leben zu erhalten. Die Kultur erhalten und ausbauen zu wollen,
kreativ, aber auch offen für eine Modernisierung der Sprache zu sein, das ist grundlegend, denn eine Sprache ist lebendig und entwickelt sich stetig weiter. Wichtig ist einfach, sich mit vollem Bewusstsein und mit Überzeugung als Ladinerin/Ladiner zu fühlen. Wie gesagt, der Wille ist ausschlaggebend, aber dieser Wille bedingt auch eine gewisse Verantwortung.
Wie wichtig ist also Sprache für die Identität eines Volkes? Und was geschieht, wenn Sprache nicht entsprechend gepflegt wird?
Ganz einfach: Sprache schafft Identität, Heimat, Selbstbewusstsein. Wenn Sprache nicht mehr gepflegt und gewollt wird, fällt das alles weg! So ein Verlust kann vielleicht im Laufe der Jahre überwunden

„KULTURGESTÖBER
UND ABENDBROT“ IN OSTTIROL
KULTURVIELFALT IN BEWEGUNG
Von Musik über Malerei bis hin zu Erinnerungskultur – das Festival „Kulturgestöber & Abendbrot“ verwandelte Anfang Oktober ganz Osttirol in eine Bühne der Vielfalt. Die Veranstaltungsreihe, organisiert vom Osttiroler Kulturnetzwerk „Kulturspur“, fand heuer bereits zum vierten Mal statt und bot zwischen dem 1. und 5. Oktober 2025 ein eindrucksvolles Programm an elf Orten im ganzen Bezirk.
Den Auftakt bildete ein Konzert der Osttiroler Kammermusiker im Drauforum Oberdrauburg, wo klassische Werke auf historische Funde trafen und so Brücken zwischen Musik und Geschichte schlugen. Im Nationalparkhaus Matrei stand die Isel im Mittelpunkt und zwar als Naturphänomen, Lebensader und Symbol für Veränderung. Kunst und Begegnung prägten den Abend im Kunstraum Leibl, wo die Werke des Künstlers Lewis Blake zu Gesprächen bei Brot und Wein einluden. Einen nachdenklichen Akzent setzte die Präsentation „Kosaken am Land“ im Miniaturmuseum Oberdorfer mit seltenen Zeitzeugenberichten und Einbli-
cken in die Erinnerungskultur des Lienzer Talbodens. Im Museum Aguntum führte Kulturvermittler Hannes Rohracher lebendig durch den Alltag des antiken Rom, während in Obertilliach Nachtwächter Josef Lugger seine Gäste durch die Gassen begleitete. Eindrucksvoll inszenierte der Künstler Rolo Geisberg in der Tammerburg sein Werk „Das Unauslöschliche“, ein Zusammenspiel aus Klang, Licht und Malerei.
Kulturgestöber und Abendbrot Regina Unterguggenberger

ler im Bildungshaus Osttirol an den Maler Oswald Kollreider, dessen Schaffen in Wort und Bild gewürdigt wurde.
Auch Schloss Bruck öffnete seine Türen für eine Abendführung durch die Ausstellung „Blicke nach innen – Nicäa“, und im Kinound Fotomuseum Sillian wurde ein Heimatfilm mit Christine Neubauer gezeigt, der Fragen nach Identität und Wandel aufwarf. Zum Abschluss erinnerten Historiker und Künst-
BENEFIZKONZERT BEI ZINGERLE IN NATZ
KULTUR IN DER FABRIK
Seit Jahren ist das Benefizevent „Kultur in der Fabrik“ fest im Veranstaltungskalender verankert. Auch 2025 lädt der Organisator wieder herzlich dazu ein. Zum ersten Mal öffnet der neue Firmensitz in Natz seine Türen für das Konzert.

Der
Die Veranstaltung findet am 7. November 2025 statt. Dabei wird der Südtiroler Singer und Songwriter Dominik Plangger musikalisch durch den Abend führen. Mit dabei ist
auch Claudia Fenzl. Für Speis und Trank ist bestens gesorgt und ein DJ ist ebenfalls organisiert.
Das Jahresmotto „Bewegte Zeiten“ zog sich wie ein roter Faden durch die Woche und spiegelte sich in historischen Themen, künstlerischen Perspektiven und gesellschaftlichen Fragen wider. Für KulturspurObmann Peter Leiter zeigt das Festival, „dass Kultur in Osttirol lebt, verbindet und zum Nachdenken anregt“. // rewe

Der Künstler Lukas Weithas aus Bregenz wird eine nette Auswahl seiner Werke ausstellen.
Alle Spenden des Abends gehen zu 100 Prozent an den Verein „AEB – Aktive Eltern von Menschen mit Behinderung“. Letztes Jahr konnten knapp 13.000 Euro gesammelt wer-
den und das Ziel für 2025 ist, diese Summe erneut zu erreichen.
Das Konzert in der neuen Firmenhalle verspricht einen besonderen Rahmen: Musik, Begegnung und Gemeinschaft für einen guten Zweck. Dazu die echte Chance, Hilfsbereitschaft sichtbar zu machen. // rewe
DAS PROGRAMM DER BENEFIZ-AKTION
• Konzert des Südtiroler Liedermachers Dominik Plangger mit Claudia Fenzl;
• Kunstausstellung von Lukas Weithas;
• Snacks, Drinks und Musik mit DJ Francesco Caltran;
• am Freitag, 7. November 2025 um 20:00 Uhr (Einlass ab 19:30 Uhr);
• im neuen Firmengebäude der Zingerle Group AG in der Pustertaler Straße 2, 39040 Natz-Schabs
• Der Eintritt ist gratis, aber die Veranstalter freuen sich über eine freiwillige Spende für den Verein „AEB – Aktive Eltern von Menschen mit Behinderung“
Südtiroler Liedermacher Dominik Plangger mit Claudia Fenzl. Beide kommen nach Natz.
(St)erben ist tödlich
Leichen, ein Testament und jede Menge kriminelle Energie: Mit „(St)erben ist tödlich“ von Christine Steinwasser bringt die Georgi Bühne im Herbst eine Krimikomödie auf die Bühne, die es in sich hat – schräg, skurril und garantiert tödlich. Zwielichtige Gestalten, durchtriebene Familienmitglieder und eine Prise Wahnsinn sorgen für ein kurzweiliges Theatererlebnis zwischen schwarzem Humor und bitterböser Satire. Die Besuchenden können sich auf einen Abend freuen, an dem die Gier nicht nur hässlich, sondern auch lebensgefährlich wird. Mit scharfem Witz, viel schwarzem Humor und einem messerscharfen Blick auf menschliche Abgründe inszeniert Regisseur Fabian Mutschlechner den ganz normalen Wahnsinn rund ums liebe Geld. Denn: Erben kann tödlich sein. Makaber, pointiert und zum Totlachen – ein Krimi voller Intrigen, überraschender Wendungen und herrlich schräger Figuren. // vp

AUFFÜHRUNGEN IM VEREINSHAUS VON ST. GEORGEN
Freitag 31.10.2025 - 20:00 Uhr (Premiere)
Sonntag 02.11.2025 - 17:00 Uhr
Mittwoch 05.11.2025 - 20:00 Uhr
Freitag 07.11.2025 - 20:00 Uhr
Samstag 08.11.2025 - 20:00 Uhr
Sonntag 09.11.2025 - 17:00 Uhr

Reservierungen ab sofort
Tel. 340 859 3807 (keine SMS/WhatsApp)
MO-FR 18-20 Uhr, SA-SO 13-15 Uhr sowie jeweils 1 Stunde vor Theaterbeginn an der Kassa.
Reservierungen bleiben bis 15 Minuten vor Aufführungsbeginn aufrecht.


Rinder genießen den Schatten...
Toni Willeit aus Ehrenburg

Sonnenaufgang am Piz de Peres Harry Taschler

Gader und Rienz Sarah Unterberger

Wollgrasblüte bei den Seebergseen in Zösen/Lappach
Gertraud Karner Hopfgartner aus Mühlwald
Morgenstimmung Michael Gostner aus St. Georgen
aus St. Lorenzen

Blumen im Trog
Christina Mairhofer aus Pfalzen

Blattgeflüster und Licht
Rosmarie Mitterrutzner aus Innichen



Manuela aus Stefansdorf
Mein schönstes

Liebe Leserinnen und Leser, schickt uns Eure schönsten, lustigsten, überraschendsten und/oder atemberaubendsten Bilder –wir zeigen sie dem Pustertal!

Die Schätze des Waldes
Monika Mairamhof aus Gais
Zusendungen an:
E-Mail: info@pz-media.it oder PZ, Oberragen 18, 39031 Bruneck
Wichtig: Bitte geben Sie Ihren Namen, ihren Wohnort und das Kennwort „Leserfoto“ an!
Die PZ behält sich das Recht vor, Inhalte und Fotos aus ethischen und anderen Gründen abzulehnen.
Wiki Bernardi aus Welsberg
Conny Sagmeister aus Olang
ANSUCHEN BIS 3. NOVEMBER
Studierende, die an einer Universität oder Fachhochschule eingeschrieben sind, können noch bis zum 3. November 2025 um 12 Uhr um eine Studienbeihilfe des Landes Südtirol ansuchen. Das Gesuch wird ausschließlich online eingereicht. In diesem Studienjahr gelten erstmals mehrere neue Bestimmungen, die den Zugang zu den Beihilfen deutlich erleichtern. Eine der wichtigsten Änderungen ist die Abschaffung der Altersgrenze: Bisher durften Antragstellerinnen und Antragsteller für den Erhalt einer Studienbeihilfe nicht älter als 35 beziehungsweise 40 Jahre sein. Künftig kann altersunabhängig angesucht werden. Ebenfalls neu ist, dass nun auch Teilzeitstudierende anspruchsberechtigt sind. Sie erhalten die Hälfte des Betrags, der Voll-
KULTURZENTRUM TOBLACH
zeitstudierenden zusteht, und das für die gesamte Regelstudiendauer.
Darüber hinaus wurde der Schwellenwert des Faktors der wirtschaftlichen Lage (FWL) von 4 auf 5 angehoben. Dadurch können künftig mehr Studierende eine Beihilfe erhalten. Voraussetzung ist, dass die EEVE-Erklärung ausdrücklich für den Antrag auf Studienbeihilfe erstellt und auf das Jahr 2024 bezogen wird. Die Antragstellung erfolgt über die offizielle Plattform des Landes mittels SPID, elektronischer Identitätskarte (CIE), aktivierter Bürgerkarte (CNS) oder digita-

Bis zum 3. November 2025 können Studierende an Universitäten und Fachhochschulen um eine Studienbeihilfe online ansuchen. Es gibt einige wesentliche Änderungen.
ler europäischer Identität (eIDAS). Nur wer über keines dieser Systeme verfügt, kann mit einem zertifizierten Benutzerkonto ansuchen. // bp
ZWEI WICHTIGE GESELLSCHAFTSTHEMEN
Zwei Abende, zwei Themen – ein gemeinsames Ziel: Hinschauen, verstehen und Hoffnung geben. Die beiden Veranstaltungen im November betreffen uns alle.
Im Kulturzentrum Toblach finden im November zwei besondere Veranstaltungen statt, die sich mit drängenden gesellschaftlichen Themen auseinandersetzen – sensibel, künstlerisch und diskussionsfreudig. Im Mittelpunkt stehen psychische Gesundheit und unsichtbare Formen von Gewalt –Erfahrungen, die viele Menschen betreffen, aber noch immer zu wenig sichtbar sind.
Am 5. November 2025 lädt der Dokumentarfilm „Lichter im Chaos“ dazu ein, junge Menschen auf ihrem Weg durch Depression und zurück ins Leben zu begleiten. Der Film von Fabian Zöggeler schafft Raum für Offenheit, Verständnis und Hoffnung. Eine anschließende Podiumsdiskussion vertieft die Thematik und gibt Raum für Austausch mit Betroffenen, Fachpersonen und dem Regisseur. Die Veranstaltung ist ein Projekt des Forum Prävention.


GEWALT GEGEN FRAUEN
Am 25. November, dem Internationalen Tag zur Beseitigung von Gewalt gegen Frauen, folgt der Themenabend „Gegen die Ohnmacht“. Eröffnet wird der Abend von der ausdrucksstarken Tanzperformance „Manufaktur Caring“ der Tänzerinnen Miriam Taschler und Carla Petzolt, die sich mit dem Frausein in einem patriarchalen System auseinandersetzt. Anschließend sensibilisieren ein Inputvortrag und eine Podiumsdiskussion für die oft unsichtbaren Formen von Gewalt wie psychische Manipulation und emotionale Erpressung. Beide Veranstaltungen laden dazu ein, genau hinzuschauen, zu verstehen – und gemeinsam Wege aus dem Dunkel zu suchen. Der Eintritt ist bei beiden Veranstaltungen frei. // mm
Tanzperformance „Manufaktur Caring“ JonasZeidler






















































JUNIOR-FISHING-PUSTERTALCUP 2025
JUNGE FISCHER-TALENTE IM MITTELPUNKT
Nach einer spannenden Saison trafen sich am 11. Oktober 2025 zahlreiche Nachwuchsangler und Unterstützer zur feierlichen Abschlussveranstaltung am Fischerteich in Bruneck. Dort fanden sowohl Finale als auch Abschlussfeier der heurigen Pustertaler Sportfischen-Meisterschaft statt. Der Wettbewerb bestand aus insgesamt sechs Teilbewerben.
Zur Feier geladen hatte der Sportfischerverein Bruneck, gemeinsam mit dem Fischerverein Olang und dem Fischerverein Antholz. Es stand die Abschlussfeier des Junior-Fishing-Pustertalcup 2025 an. Die Veranstaltung bildete den feierlichen Abschluss einer erfolgreichen Angelsport-Saison, in der junge Fischerinnen und Fischer aus dem gesamten Pustertal ihr Können und ihre Leidenschaft unter Beweis stellten. Im Mittelpunkt stand die Ehrung der Nachwuchstalente, die sich mit großem Einsatz und sportlichem Teamgeist am Wettbewerb beteiligt hatten. „Mit dem Junior-FishingPustertalcup möchten wir nicht nur sportlichen Ehrgeiz fördern, sondern vor allem die Freude am Angeln und die Verbundenheit mit der Natur weitergeben“, betonte der Brunecker Vereinspräsident Luca Da Col. In dieselbe Kerbe schlugen auch Peter Paul Ploner (Olang) und Josef Burger (Antholz).



Der Wettbewerb, an dem Jugendliche aus verschiedenen Gemeinden teilnahmen, hat sich in den letzten Jahren zu einem wichtigen Fixpunkt der regionalen Jugendarbeit entwickelt. Nach der Siegerehrung waren alle Gäste zu einem gemütlichen Beisammensein geladen.

Dieser beliebte Wettbewerb wird von mehreren Fischereivereinen des Pustertals organisiert und trägt dazu bei, jungen Menschen den respektvollen Umgang mit der Natur und den nachhaltigen Fischfang näherzubringen. Eine richtig gute Sache! // rewe
DIE ENDWERTUNG (die Besten aus den sechs Bewerben)
1) Elias Engl
2) Jonas Steger
3) Leon Großgasteiger
4) Marvin Pallhuber
5) Elias Braidotti
6) Aron Engl
7) Jonas Lanz
8) Jakob Leiter
9) Luca Rettondini
10) Lukas Mayr
11) Oliver Da Col
12) Johann Sartori
13) Maximilian Messner
14) Lukas Schraffl
15) Francesco Armano
(weitere 26 junge Sportfischer schafften den Sprung in die Endwertung)
25 JAHRE LEONARDI-RITT IN ABTEI/BADIA
GELEBTE TRADITION UND GEMEINSCHAFT
Am Sonntag, 9. November, feiert das Dorf Abtei/Badia ein besonderes Jubiläum: Zum 25. Mal findet der Leonardi-Ritt zu Ehren des heiligen Leonhard statt – ein Fest, das längst über seine religiösen Ursprünge hinausgewachsen ist. Heute steht der Umzug für gelebte Kultur, landwirtschaftliche Verbundenheit, Musik, Kulinarik und das Miteinander in den ladinischen Tälern.
In diesem Jahr fällt das Jubiläum zudem mit einem weiteren bedeutenden Anlass zusammen: 700 Jahre erste urkundliche Erwähnung des Dorfes Abtei/Badia. Aus diesem Anlass wird im Herbst ein Buch der Sprach- und Historikexpertin Daria Valentin veröffentlicht, das die Geschichte des Dorfes und seiner Menschen beleuchtet. Organisiert von den Noriker- und Haflingerzuchtvereinen des Gadertals, werden rund 150 Pferde und über 700 Teilnehmer erwartet. Die Veranstaltung beginnt um 9.30 Uhr mit einem feierlichen Gottesdienst in der Pfarrkirche von St. Leonhard, gefolgt vom traditionellen Umzug um 10.45 Uhr, der sich vom Handwerksgebiet durch das Ortszentrum zieht.

Die Vorbereitungen für die Jubiläumsausgabe sind bereits abgeschlossen. Freddy Planinschek
wichts zwischen Tradition und nachhaltigem Tourismus in den Dolomiten. Die Veranstaltung findet bei jeder Witterung statt. // rewe
GRIPPE?
Neben den festlich geschmückten Pferdewagen sind auch zahlreiche Musikkapellen und Volkstanzgruppen vertreten – darunter die Kapellen von Badia, Vigo di Fassa, Mühlwald sowie die „Wurzlmusik“. Für die Tanzdarbietungen sorgen die Gruppen Uniun Bal Popolar Val Badia, Salvans, Gruppo Folk Canazei und Grop de Bal Marmolèda. Der Höhepunkt des Vormittags ist die feierliche Pferdesegnung vor der Kulisse des Heilig-Kreuz-Kofels.
VIELE HÖHEPUNKTE
Ein weiteres Highlight ist die Leonardi-Trophäe, die an den berühmten Oswald-von-Wolkenstein-Ritt erinnert. Drei Mannschaften –Kastelruth Dorf, Völs – Völser-Aicha und Sarnthein Dorf – treten ab 13.30 Uhr in den Disziplinen Slalom und Ringstechen gegeneinander an. Die Siegermannschaft erhält einen handgeschnitzten Holzpokal des Bildhauers Luigi Valentin aus Abtei. Musikalisch steht der Festtag ebenfalls im Zeichen des Jubiläums: Um 15.30 Uhr tritt Alexander Rier, Sohn des Kastelruther SpatzenSängers Norbert Rier, mit einem Konzert im Festzelt auf. Zuvor sorgen die Musikkapellen aus Vigo und Mühlwald sowie die Volkstanzgruppe Canazei für Stimmung. Am Nachmittag folgt die Gruppe Rifflblech, begleitet von Auftritten junger Tänzer und Musiker im Vereinshaus. Auch am Samstagabend lädt das Festzelt zu einem musikalischen Auftakt mit den Gruppen Da Piz a Ciantun und Rise O’Clock. Kulinarisch kommen Besucher ebenfalls auf ihre Kosten: Die Feuerwehr und die Musikkapelle servieren im Festzelt herzhafte Spezialitäten, während die Bäuerinnen im Vereinshaus traditionelle ladinische Gerichte wie Tirtlan, Gerstensuppe und Strauben anbieten. Der Nachmittag klingt mit Törggelen und Wein gemütlich aus. Der Leonardiritt wird von der Union Generela di Ladins dla Dolomites (UGLD) unterstützt und gilt heute als Sinnbild des Gleichge-
NICHT MIT UNS! #schützedich

DOPPELTER SCHUTZ, EIN TERMIN. Lassen Sie sich jetzt gegen Grippe und Corona impfen.
INFORMATIONEN UND VORMERKUNGEN www.sabes.it/impfungen

50 JAHRE DRACHENFLIEGEN
Der Falkenclub Ahrntal, der erste und älteste Drachenfliegerclub in Südtirol und Pionier des Drachenfliegens in Italien und auch in Europa, feierte in der Hochburg des Drachenfliegens in Sand in Taufers sein 50-jähriges Bestehen. Der Einladung zur Jubiläumsveranstaltung sind viele Drachenflieger-Freunde aus dem In- und Ausland gefolgt. Das traditionelle „Ausgleiten“ erfolgte von der Sonnklar-Spitze am Speikboden und vom Startplatz in Ahornach. Der Flugtag wurde mit einem Abendessen in der MittelstationSpeikboden und mit Begleitung der RockBand „Queen Laurin“, welche alle zu Be-
geisterungsstürmen hinriss, abgeschlossen. Der Falkenclub ist mit seinen fünf legendären Airshows von 1990 bis 2010 längst in die Fluggeschichte Südtirols eingegangen. Diese Flugfeste wird es nie wieder geben, da die behördlichen Vorgaben, der personelle Aufwand und auch Verantwortungsträger nicht mehr zu ermöglichen sind. So bleibt allen Flugbegeisterten die Erinnerung an die Flugvorführungen, welche der Falkenclub in Sand in Taufers gezeigt hat: die legendären Segelkunstflug-Vorführungen von Reinhard Haggenmüller, die Kunstflugstaffel der „Breitling Eagles“, das
STOCKSPORT-CHAMPIONS-LEAGUE DER DAMEN
DIE
BRONZEMEDAILLE
Vom 26. bis 28. September fand in der Stocksporthalle in Klagenfurt die dritte Auflage der Champions League der Damen statt. Nach der Teilnahme im Jahr 2023 und einer Pause 2024, war diesmal auch die Damenmannschaft vom AEV Niederdorf wieder am Start. Mit großem Erfolg.
Die Grundlage für die Teilnahme wurde bei der Italienmeisterschaft mit dem Titel gelegt. Das Team mit Johanna Kamelger, Nicole Kühbacher, Maria Summerer und Luisa Bacher setzte sich ein klares Ziel: das Überstehen der Gruppenphase und damit die Qualifikation fürs Viertelfinale.
Nachdem am Freitag der Belag getestet und das Material vorbereitet worden war, gab es am Abend eine kleine Eröffnungsfeier mit allen teilnehmenden Mannschaften. Am Samstagmorgen starteten die Spiele der Vorrunde. Von Beginn an überzeugten die Mädels mit einer starken und vor allem konstanten Leistung. Mit nur einer Niederlage und einem Unentschieden sicherten sie sich souverän den ersten Platz in der Gruppe und damit den Einzug ins Viertelfinale.
Am Sonntag ging es dann im KO-Modus weiter. Gegner war der EV Moritzing, der in der Gruppenphase in beiden Begegnungen bezwungen werden konnte. Kam das Sprichwort: „aller guten Dinge sind 3“ zu tragen? Gespielt wurde nun im „Best-of-three“-Mo-

„Dornier-Passagier-Flugzeug“ der Air Alps oberhalb Schloss Taufers, der Überflug der „Frecce Tricolori“ etc. Auch das Drachenfliegen wird zu einer Nostalgie am Himmel und über den Zillertaler Gletschern, da die Gleitschirm-Flieger die Lüfte erobert haben und die Drachenflieger bald als die Exoten der Lüfte bezeichnet werden. Und der Falkenclub ist einer der wenigen Vereine, welche den Drachenflugsport fördert und am Leben hält. // Karlheinz Ausserhofer
GLÄNZT STRAHLEND SCHÖN

Das erfolgreiche Damenteam (im Bild) vom ASV Niederdorf schaffte den guten dritten Platz.
dus. Nach einem Sieg im ersten und einer Niederlage im zweiten Spiel musste die Entscheidung im dritten Spiel fallen. Dort bewiesen die EVN-Damen starke Nerven und setzten sich durch. „Aller guten Dinge sind 3“, das Viertelfinale war gewonnen und die eigenen Erwartungen bereits übertroffen.
DER SPRUNG AUF DAS PODEST
Im Halbfinale traf das Team auf die SG Pottschach/Neunkirchen aus Österreich. Von Beginn an schlichen sich leider zu viele Fehler ein, doch auch der Gegner spielte nicht fehlerlos. Nach einer Niederlage im ersten und einem Unentschieden im zweiten Spiel
blieb die Hoffnung bestehen, mit einem Sieg im dritten Spiel doch noch ins Finale einzuziehen. Das Team kämpfte bis zum Schluss, und so stand es in der vorletzten Kehre 4:4. Am Ende konnte die österreichische Mannschaft jedoch die letzte Kehre für sich entscheiden. Damit mussten sich die EVN-Damen gegen dem späteren Champions-League-Sieger geschlagen geben. Trotz der anfänglichen Enttäuschung überwog schließlich die Freude: Mit dem Gewinn der Bronzemedaille sicherte sich das Niederdorfer Damen-Team die erste internationale Auszeichnung auf Vereinsebene. Herzliche Gratulation! // Christian Oberhofer
FALKENCLUB AHRNTAL
UNSERE WELLNESSOASEN

AUS DEM INHALT
> Entspannung im Herzen der Berge 48
> Abkühlung mit Power-Effekt 50
> Wohltuende Wärme mit Meeresklima-Feeling 52
> Saunieren ist gesund! 54
> Das gehört in die Saunatasche 56
> Besondere Massagen für den Herbst 58
Ort zum Anund Wiederkommen
> Warum kleine Stressreize den Körper stärken 60
> Tees, Shakes & Shots für kalte Tage 62
> Effektives Training im Alltag 64
> Welche Lebensmittel jetzt guttun 70 ... und vieles mehr!



ENTFLIEHEN SIE DEM ALLTAG
mit einem Short Stay im Hotel Kolping Meran***
Genießen Sie Entspannung pur in unserem hauseigenen SPA, umgeben von der atemberaubenden Berglandschaft Südtirols. Perfekt für eine kurze Auszeit – gönnen Sie sich Erholung und Wohlfühlmomente.
2 Übernachtungen mit Frühstück ab 156,00€ p.P.
www.kolpingmeran.it
// PR-Info
D as Hotel Kolping in Meran ist mehr eine Heimat auf Zeit, als ein Hotel. Ein Haus ganz nah am Zentrum, in dem verspielter Jugendstil auf modernen Minimalismus, Stadtleben auf Stille und Urlaubsgäste auf Bistrobesucher treffen. Inmitten der grünen Parkanlagen im Ortsteil Obermais stehen Ihnen alle Türen offen. Wandern am Waalweg oder Sonnen am Pool, Wellnesskur oder E-Bike-Tour: Im 3-Sterne-Hotel Kolping Meran ist jeder Tag anders und ganz so, wie Sie es sich wünschen! Das Kolping Hotel ist bekannt für alte Pracht und frischen Wind, für Wellness über den Dächern Merans und bietet Raum für alle Bedürfnisse.
DAS HOTEL KOLPING IN MERAN
UNSERE WELLNESSOASEN
Entspannung im Herzen der Berge
Wenn Natur und tolle Anlagen zur Quelle der Ruhe werden.
Zwischen den Gipfeln der Dolomiten, den stillen Tälern des Pustertals und den wunderbaren Tälern Südtirols liegt ein Paradies für alle, die Körper und Geist in Einklang bringen möchten. Unsere Region hat sich längst zu einem der beliebtesten Orte für Erholung und Regeneration entwickelt und das mit gutem Grund: Hier verbinden sich alpine Natur, traditionsbewusste Gastlichkeit und moderne Wellnesskultur zu einem einzigartigen Erlebnis.
Ob luxuriöses Spa im Sterne-Hotel, stilvolle Saunalandschaft mit Panoramablick oder kleine, feine Wohlfühladresse am Waldrand – unsere Wellness-Oasen setzen auf Qualität, Nachhaltigkeit und Authentizität. Viele Häuser im Lande arbeiten darüber hinaus mit heimischen Naturprodukten wie Latsche, Zirbe, Heu oder Bergkräutern, die nicht nur duften, sondern auch wohltuend wirken.

Ein besonderes Erlebnis bieten die alpinen Saunen, Infinity-Pools mit Bergblick oder entspannte Stunden im Heubett. Dazu kommen regionale Köstlichkeiten, die das Wohlfühlprogramm perfekt abrunden, leicht, frisch und aus heimischen Zutaten.




Wellness in unserem Land bedeutet mehr als nur Entspannen: Es ist ein Zurückfinden zu sich selbst, begleitet vom Atem der Berge und dem Rhythmus der Natur. Wer hier abschaltet, spürt, wie Kraft und Ruhe zurückkehren und warum Südtirol seit Jahren als Land der Lebensfreude und des Wohlbefindens gilt.
Egal ob Kurzurlaub, Wochenend-Auszeit oder bewusste Auszeit vom Alltag: unsere Wellnesslandschaft lädt dazu ein, neue Energie zu tanken und die Schönheit des Augenblicks zu genießen. // bp
WILLKOMMEN IN DER MATIMBA-BUSH-LODGE
Wo sich Wildnis und
Seele begegnen
Nur wenige Kilometer vom Krüger-Nationalpark entfernt, liegt die Matimba-Bush-Lodge – ein Ort, an dem Zeit stillzustehen scheint. Hier, am Ufer des Mala Mala-Staudamms, umgeben von Elefanten, Nilpferden und dem Ruf des Fischadlers, erleben Sie Afrika in seiner reinsten Form – nachhaltig, kraftvoll, magisch. Das Frühstück genießen Sie auf der Terrasse mit Blick auf das Wasser, während Antilopen friedlich am Ufer grasen. Abends verwöhnt Sie eine feine Mischung aus mediterraner und afrikanischer Küche – begleitet von südafrikanischen Weinen oder dem hauseigenen Likör „Lemondela“.

Daniela Kofler und Alberto, ursprünglich aus Bruneck, haben hier ihren Traum verwirklicht. Als professionelle Fotografin und qualifizierte Safari-Guides teilen sie ihre tiefe Liebe zu Afrikas Tierwelt und Landschaft mit ihren Gästen. Jede Safari, jeder Sundowner und jedes Gespräch trägt ihre Leidenschaft in sich. Daniela und Alberto kennen alle Attraktionen und Annehmlichkeiten in der Gegend und helfen Ihnen gerne bei der Organisation von Safaris, Nachtfahrten, Flusssafaris usw. Die Matimba-Bush-Lodge ist mehr als ein Rückzugsort – sie ist ein Gefühl. Ein Ort, an dem Luxus und Stille, Licht und Weite zu einer Erfahrung verschmelzen, die bleibt. // PR-Info
freepik
Ein einzigartiges Familienhotel

Wohin man schaut, leuchtende Kinderaugen und fröhliches Gelächter – das Feuerstein Nature Family Resort im Pflerschtal gleicht einer wahr gewordenen Märchenwelt, die jede Menge spannender Erlebnisse und unvergesslicher Urlaubsmomente für Groß und Klein bereithält.
Egal, ob Babys, Kinder oder Teenies – bei uns im Feuerstein kommen alle auf ihre Kosten! Beim Sandburgenbauen im Matschraum, beim Malen im Atelier, beim Basteln und Werkeln in der Holzwerkstatt, beim Heuhüpfen in der Spielescheune, beim Schwimmen in den vier Pools, beim Wettrennen auf der über 100 m langen Wasserrutsche, bei einer Reitstunde auf unseren lieben Pferden und Ponys,

beim Füttern unserer Alpakas, Ziegen, Schafe und Hasen oder bei spannenden Abenteuern in der Natur.
Aber auch die Eltern kommen nicht zu kurz, denn während die Kinder gut aufgehoben sind, lässt es sich im separaten Adults Only Spa-Bereich bestens zur Ruhe kommen und wohltuende Yogaeinheiten, Massagen oder Wellnessanwendungen sorgen für Tiefenentspannung. Das Highlight für Feinschmecker: ein Abend im Gourmetrestaurant Artifex.
Im November profitieren Sie wieder von unseren Spezialangeboten mit einer kostenlosen Übernachtung.
Lassen Sie sich von diesem magischen Ort verzaubern. // PR-Info

FEUERSTEIN NATURE FAMILY RESORT
T +39 0472 770 126 info@feuerstein.info www.feuerstein.info

EINE AUSZEIT IM FEUERSTEIN

PERFEKT FÜR DIE GANZE FAMILIE
Abkühlung mit Power-Effekt
Eine Kaltwasserbecken für ein Kältebad lässt sich fast überall nutzen, zum Beispiel im Garten oder auf der Terrasse. Das Becken braucht einen festen, ebenen Untergrund, der das Gewicht des Wassers trägt. Im Garten eignen sich Holz- oder Kunststofffässer, die frei stehend oder teilweise im Boden eingelassen sind. Praktisch sind auch Eisbad-Komplettsets, die es im Sportfachhandel, in Möbelhäusern oder Baumärkten gibt. Sie bestehen aus einer Tonne oder Wanne mit robusten Außenwänden, einer Abdeckung sowie einer Isolierung, welche die Temperatur hält. Außerdem ist regelmäßige Wasserpflege wichtig. Damit es hygienisch bleibt, sollte man das Wasser rechtzeitig wechseln und spezielle Desinfektionsmittel verwenden. Mitunter können Eisbäder auch auf dem Balkon durchgeführt werden. Hierfür müssen die Voraussetzungen, wie beispielsweise eine Genehmigung

des Vermieters, eine ausreichende Traglast des Balkons und die Vermeidung einer Gefährdung für Nachbarn oder die Bausubstanz, erfüllt sein. Eine Alternative wäre, die Badewanne im Badezimmer mit kaltem Wasser und Eiswürfeln zu füllen. Wer gesundheitliche Einschränkungen hat, sollte ärztlich abklären, ob Eisbäder geeignet sind. Für manche ist es sinnvoll, den Körper schrittweise heranzuführen, etwa durch kaltes Duschen. Bei einem Kältebad wird ein sicherer Einstieg über eine Trittleiter benötigt. Der Boden im Inneren des Behälters und außerhalb muss rutschfest sein, um Unfälle zu vermeiden. Wird alles berücksichtigt, steht dem Ritual mit Power-Effekt nichts mehr im Wege. //
Vintage Market Merano

7. VINTAGE-MARKT IM TOURISEUM AUF SCHLOSS TRAUTTMANSDORFF
Retro-Charme trifft Winterolympiade
Am 8. und 9. November 2025 verwandelt sich das Touriseum auf Schloss Trauttmansdorff erneut in ein Paradies für Liebhaberinnen und Liebhaber vergangener Jahrzehnte. Der siebte Vintage-Market-Meran lädt ein zum Entdecken, Staunen und Genießen. In diesem Jahr steht das Event im Zeichen der bevorstehenden Winterolympiade 2026 in Cortina d’Ampezzo. Passend dazu zeigen einige ausgewählte Aussteller historische Wintersportgeräte, sowie Sammlerstücke und olympische Erinnerungen. Von 9:00 bis 16:30 Uhr präsentieren Händlerinnen und Händler Raritäten aus den 1920er bis 1980er Jahren –Kleider, Accessoires, Möbel und Dekoobjekte mit Geschichte. Für stilechten Look sorgt Alice the LongHair, die an beiden Tagen Vintage-Frisuren und Make-up zaubert. Am Samstag glänzen beim „Cars & Coffee Classic Südtirol“ Oldtimer in der Morgensonne. Besuchen Sie uns in Ihrem interessantesten Vintage-Kleid - um 15:00 Uhr erfolgt die Prämierung des schönsten Outfits!
Am Sonntag sorgen Dave and the Dixies mit Swing, Jazz und Rock’n’Roll für das passende Retro-Feeling.
Im Touriseum zu sehen ist zudem die Treppenhausausstellung „Die Zukunft des Reisens“ – ein visionärer Blick in das 21. Jahrhundert. Der Eintritt von 10 Euro umfasst auch den Zugang zu den Gärten von Schloss Trauttmansdorff. Weitere Informationen gibt es unter www.trauttmansdorff.it. // PR-Info
Frischekick pur – Abtauchen in der Kaltwassertonne ist fast wie Eisbaden im See. unsplash
Zeit für Entspannung


Umgeben von der traumhaften Naturkulisse des Passeiertals fällt es im Wiesenhof Garden Resort leicht, den Alltag hinter sich zu lassen. Egal ob Sie auf der Suche nach einem Aktivurlaub oder einem Wellnessurlaub sind, hier finden Sie die richtige Kombination. Entspannen Sie in unserer Wellnesslandschaft, unterteilt in Familien- und Erwachsenenbereiche mit verschiedenen Saunen und Ruheräumen. Tauchen Sie ein in die Wasserwelt mit Indoor- und Outdoorpool, Naturbadeteich mit Kneipp-Steg, ganzjährig beheizten Whirlpools im Wellnessgarten und auf der sonnenverwöhnten Panoramadachterrasse.

Nehmen Sie am erlebnisreichen Aktivprogramm mit geführten Wander- und E-Bike Touren teil oder nutzen das betreute Fitnessprogramm für Ihr Lieblingsworkout wie Wassergymnastik, Pilates, Yoga, Tabata u. v. m. Ein kulinarischer Genuss erwartet Sie von früh bis spät mit ausgewogenem Frühstücksbuffet, abwechslungsreichem Nachmittagssnack und einem Abendmenü mit bis zu 7 Gängen. // PR-Info



last minute 4=3 bis 31. 10. und vom 2. 11. – 9. 11. 25
4 Nächte ab € 492 pro Person, inkl. ¾-Verwöhnpension wiesenhof sternstunden
8. 12. – 24. 12. 25
Eine Nacht zum Preis von € 143 pro Person, inkl. ¾-Verwöhnpension, egal in welcher Zimmerkategorien saunatage
15. 12. – 19. 12. 25
Mit täglich 5 abwechslungsreichen Aufgüssen
Eine Nacht zum Preis von € 143 pro Person, inkl. ¾-Verwöhnpension
Wiesenhof Garden Resort ****S
Passeirer Straße 44 I-39015 St. Leonhard in Passeier Südtirol T +39 0473 65 61 55 info@wiesenhof.net www.wiesenhof.net
cin code IT021080A1CL6YQ2EN
SALZSAUNA IM TREND
Wohltuende Wärme mit Meeresklima-Feeling
Die Salzsauna gilt als eine der sanftesten und zugleich wohltuendsten Saunaformen. Im Unterschied zur klassischen finnischen Sauna liegt die Temperatur meist nur zwischen 40 und 65 Grad Celsius. Dadurch ist die Wärmeumgebung weniger belastend, aber dennoch intensiv genug, um den Kreislauf anzuregen und für Entspannung zu sorgen. Die Besonderheit der Salzsauna liegt in den Wänden, die häufig aus Himalaya-Salzziegeln oder Salzkristallen bestehen. Beim Erhitzen werden Mineralien freigesetzt, die für ein Klima sorgen, das an die salzhaltige Luft an der Meeresküste erinnert. Viele empfinden das Einatmen dieser Luft als befreiend für die Atemwege, zudem werden die Schleimhäute befeuchtet.
Auch die Haut profitiert: Ähnlich wie Salzpeelings, die es in Drogerien, Reformhäusern und Apotheken gibt, wirkt das Salz in der Salzsauna leicht antibakteriell und unterstützt die natürliche Reinigung. Wellnesshotels und -center, Thermen und Fitnessstudios mit Saunalandschaften bieten Salzsaunen oft als Teil weitläufiger Spa-Bereiche an. Das warme Licht an den Salzwänden und die besondere Atmosphäre schaffen ein Gefühl von Erholung, das über den eigentlichen Saunaeffekt hinausgeht. Der Besuch einer Salzsauna gleicht einem heilsa-

men Ritual, das Wärme, Meeresklima und tiefgehende Entspannung vereint. Trotz der milderen Temperaturen sollte die individuelle gesundheitliche Belastbarkeit bedacht und gegebenenfalls vorab medizinische Rücksprache gehalten werden, da selbst moderate Hitze den Kreislauf beansprucht. //

Kurz mal raus… und ganz woanders ankommen!
Nur eine gute Stunde vom Pustertal – und doch eine kleine Welt entfernt: Das Belvedere hoch über Bozen vereint klare Architektur, natürliche Materialien und viel Raum für Stille. Wandern durch goldene Lärchenwälder, Bummeln und Weihnachtseinkäufe in Bozen – danach Wärme und Ruhe im neu gestalteten Spa mit außergewöhnlich klarer Linienführung. Ein Hideaway für Paare und Individualisten, die das Wesentliche suchen: Stil, Ruhe und jene Eleganz, die nichts beweisen muss.
www.belvedere-hotel.it
HOTEL BELVEDERE
Genuss für alle Sinne
Ankommen, tief durchatmen – der Blick fällt über Bozen in die Weite, die Dolomiten klar gezeichnet, der Spätherbst mild. Das Hotel Belvedere ist kein lautes Versprechen, sondern eine Haltung: reduzierte Linien, warme Materialien, viel Licht. Wege starten vor der Tür – ein Spaziergang durch Lärchenbestände, später die Lauben. Zurück im Haus: Saunen innen & außen, Ruhebereiche mit Aussicht; Anwendungen, die mehr können als behaupten.

Abends schlägt das Herz im Friedas Fine Dining: Südtirol und Italien, modern gedacht und im Kern bodenständig – präzise Garpunkte, klare Aromen, ohne dekorativen Überfluss. Wahlweise à la carte oder das Gourmetüberraschungsmenü; an ausgewählten Abenden das Tomahawk-Erlebnis. Mittags lädt eine kleine Bistro-Karte. Draußen glüht der Himmel – Kastanien auf der Terrasse, ein Glas Lagrein, Stille. Das Belvedere ist ein Ort für Paare und Individualisten: entspannt, unaufgeregt, mit jener leisen Eleganz, die bleibt –auch wenn man längst wieder zu Hause ist. // PR-Info
Alex
Filz
Wärme und salzhaltige Luft in der Salzsauna wirken wie ein Kurzurlaub am Meer. 123rf
Balance und Genuss
Neues Licht im Schenna Resort: Restaurant Luminis, der Infinitypool und mehr...
Treten Sie ein in eine Welt voller Genuss und Entspannung: Im neuen Infinitypool mit Blick über das Meraner Land lässt es sich wunderbar entspannen.
Wellness, Ruhe und Aktivität; Wohltuende Massagen und Spa-Behandlungen machen Ihren Aufenthalt zu einem Erlebnis. Ergänzend dazu laden Yoga, Meditation und sanfte Bewegung in der Natur zum regelmäßigen Wohlfühl-Programm ein, das Körperbewusstsein und innere Balance stärkt.


Im Restaurant Luminis erleben Sie eine kulinarische Reise, die Sie mit mediterranen Kreationen verwöhnt - zubereitet aus regionalen Zutaten und saisonalen Erzeugnissen. Gesunder Genuss, der glücklich macht, trifft hier auf erstklassige Geschmackserlebnisse in stilvollem Ambiente.
Unsere Gourmet-Halbpension inklusive kostenlosem Frühstück am Anreisetag sorgt dafür, dass Sie jeden Tag entspannt beginnen. Genießen Sie abwechslungsreiche Menüs, die Geschmack, Qualität und Wohlbefinden vereinen.
Ein gemütlicher Spaziergang nach Meran – mit Shopping, Kultur und kulinarischen Impulsen. In der Adventszeit verzaubern Meraner Weihnachtsmarkt und „Lumagica“ im Botanischen Garten Trauttmannsdorff in glänzender Pracht; lassen Sie sich von Lichtinstallationen und stimmungsvoller Atmosphäre verzaubern. Mit köstlichen Cocktails an der Bar lassen Sie den Tag genussvoll ausklingen // PR-Info



Balance & Genuss - Urlaub “Dahoam”
Lass dich verwöhnen und gönn dir eine Auszeit im Schenna Resort:
Wellness und SPA zum Abschalten und Durchatmen
Saunas mit täglichen Aufgüssen
In-und Outdoorpools “adults only” und family
Yoga, Meditation & Bewegung in der Natur
Gourmet Halbpension mit kostenlosem Frühstück am Anreisetag
Weinverkostungen und Musikabende mit Herz
Alte Straße 14 | 39017 Schenna | Tel. 0473 230 760 | info@schennaresort.com | www.schennaresort.com


Saunieren tut gut und ist gesund
Studien der Medizin-Universität von Innsbruck und der Universität Ostfinnland zeigen: je häufiger Sie saunieren, desto besser! Bei vier bis sieben Saunabesuchen pro Woche wird die HerzKreislauf-Sterblichkeit um bis zu 70 Prozent (!) gesenkt. Das Risiko für Schlaganfälle sinkt um bis zu 61 Prozent, selbst das Risiko für Demenz wurde in erheblichem Maße reduziert. Diese positiven Gesundheitseffekte führen die Forscher zurück auf die positiv regulierende Wirkung der Sauna auf den Blutdruck und die Herzfrequenzvariabilität. Auch eine groß angelegte finnische Langzeitstudie mit knapp 14.000 Teilnehmern aus 2020 belegt die positiven Wirkungen im Bereich der Demenz-Prophylaxe durch regelmäßiges Saunieren.


GUT GEGEN SCHLAGANFÄLLE, DEMENZ UND CO.
Durch regelmäßiges Schwitzen in der Sauna wird der Blutfluss in Gang gesetzt. Dies hilft dabei, einen hohen systolischen Blutdruck und Pulsdruck zu verringern – Faktoren, die als Risiko für Demenz gelten, wenn sie aus dem Ruder laufen. Auf Dauer lernt der Körper immer besser, sich auf die wechselnden Hitze-Kälte-Reize einzustellen: er reagiert schneller mit entsprechendem Schwitzen.




DIE SCHLAFQUALITÄT
Regelmäßige Saunabesuche können auch die Schlafqualität verbessern. Guter Schlaf ist entscheidend für ein starkes Immunsystems, da der Körper während des Schlafs wichtige „Reparaturarbeiten“ durchführt. // ro
WARUM IST SAUNA GESUND?
Welche Sauna Vorteile gibt es, warum ist Sauna gesund? Regelmäßiges Saunieren hat viele Vorteile für Gesundheit und Wohlbefinden.
Die wichtigsten positiven Effekte im Überblick:
> Stärkung des Immunsystems
> Herz-Kreislauf-System ankurbeln
> Stoffwechsel anregen und entgiften
> Schlaganfall / Demenz vorbeugen
> Entspannung
> Hautdurchblutung anregen
> Asthma-Symptome lindern
diSauna
Freepik


Und rundum wohlfühlen:
• Eigene Wellnessbereiche für Paare und Familien garantieren Spaß für die Kleinen und Ruhe für die Großen
• 2 Themen-Aufgüsse um 17 und 18 Uhr
• Late-Night-Sauna & Spa bis 22:30 Uhr
• ¾ Genießerpension mit tollem Frühstück, Marende mit Getränken und allerlei Süßem & Saurem am Nachmittag und feine Menüwahl zum Ausklang des Tages
Gültig vom 03.11.-16.11.2025
Wir schenken Euch eine magische Auszeit mit tollen Benefits inklusive:
• Early Check-in mit Frühstück und Wellness am Anreisetag
• Late Check-out mit Marende und Wellness am Abreisetag
• E-Bike Verleih, um den Sonnenberg und den Weg zum Kinegger Hof entspannt zu erkunden.
• 1 Flasche „Cuvèe Luis“ vom Weingut Gaudenz für zu Hause
Hans-Guet-Straße 42, I-39020 Rabland/Partschins bei Meran Tel. 0473 968 088 | info@hotelwaldhof.com
www.hotelwaldhof.com
ESSENTIALS FÜR DEN WELLNESS-TAG
Das gehört in die Saunatasche
Gelungene Wellness-Tage beginnen mit der richtigen Vorbereitung. Eine gut gepackte Saunatasche stellt sicher, dass der Aufenthalt im Spa von Beginn an entspannt verläuft und alle benötigten Utensilien griffbereit sind.
Einige Dinge gehören zur Grundausstattung beim Saunieren, andere sind kleine Extras, die den Besuch der Saunalandschaft angenehmer machen. Zu den Klassikern zählen ein großes Saunatuch zum Unterlegen, ein Bademantel für die Pausen und Badeschuhe, die rutschfest und hygienisch sind. Ein Saunakilt ist ein praktischer Umhang mit Klettverschluss oder Gummizug, der wie ein Wickelrock um den Körper getragen wird und in der Sauna sicheren Halt bietet. Ein Saunahut schützt Kopf und Haare vor starker Hitze – in Finnland gehört er längst zur Tradition. Nicht fehlen darf eine Trinkflasche mit Wasser oder Kräutertee, damit der Flüssigkeitshaushalt nach dem Schwitzen ausgeglichen wird. Isotonische Getränke helfen, Mineralstoffverluste zu mindern. Neben Duschgel und Shampoo können für die anschließende Hautpflege duftende Körperöle, Gesichtsmasken oder Ampullen-Pflegekuren genutzt werden.
Nach der Sauna wirken Pflegeprodukte besonders effektiv, da die Haut durch Wärme und gesteigerte Durchblutung aufnahmebereiter für Wirkstoffe ist. Für ein bequemeres Liegen im Ruheraum sorgt ein Nackenkissen. Mit Kopfhörern und Smartphone sowie,



GADERFORM
bei Bedarf, einer Powerbank lässt sich entspannende Musik oder ein Podcast genießen. Nach dem Saunieren schenken Nüsse oder Trockenfrüchte einen Energiekick, aber auch Energy Balls aus Datteln, Kakao und Chiasamen oder gefriergetrocknete Himbeeren oder Erdbeeren. Etwas exotischer sind Kokoschips oder gedämpfte, leicht gesalzene Edamame, also Sojabohnen, aus dem Biomarkt oder Reformhaus. Zudem liefern Matcha- und Protein-Riegel schnelle Energie. //
Echte Wohlfühloasen schaffen
Eine Wohlfühloase im Kinderzimmer mit den Massivholzbetten der Serie „Castello Schlafen & Spielen“. Castello passt sich den Abenteuern des Lebens an: als Stockbett bestehend aus zwei Einzelbetten, erhältlich in verschiedenen Varianten oder als Hochbett. Das Naturholz schenkt Wärme und Geborgenheit. Erholsamer Schlaf in einem Naturholzbett im gesunden Schlafambiente. Unsere Betten und Möbel aus Naturholz sorgen für ein gesundes Raumklima. Ergonomisch durchdacht, bieten unsere Schlafsysteme optimalen Liegekomfort. Einfach wohlfühlen und ausgeruht in den Tag starten. Stockbett Castello in Fichte, wie man sich bettet… // PR-Info

Ehe es in die Sauna geht, muss alles bereitliegen – Handtücher, Badeschuhe und Pflegeprodukte. Pixabay
Ruhe und Genuss zum Wohlfühlen

Hoch über Meran gelegen, mit atemberaubendem Blick über das Burggrafenamt, ist das Hotel Meinhardt in Schenna ein besonderer Ort für alle, die Ruhe, Natur und herzliche Gastfreundschaft suchen.
Die komfortablen Zimmer – alle mit Balkon oder Terrasse – schenken freie Aussicht auf Meran und die umliegende Bergwelt. Im Wellnessbereich mit Panoramapool, Whirlpool, Saunen und Ruheraum finden Gäste pure Entspannung nach aktiven Stunden in der Natur. Zusätzlich können auf Anfrage und nach Terminvereinbarung wohltuende Massagen gebucht werden. Wanderwege und E-Bike-Touren starten direkt


ab dem Hotel – ideal für Genusswanderer und Aktivurlauber. Auch kulinarisch wird jeder Tag zum Erlebnis: Morgens erwartet die Gäste ein reichhaltiges Frühstücksbuffet mit regionalen Produkten, nachmittags das beliebte Kuchenbuffet. Abends sorgt ein abwechslungsreiches kulinarisches Programm für genussvolle Höhepunkte.
Ob beim Relaxen im Pool, auf der Terrasse mit Sonnenuntergang oder beim Spaziergang durch die herbstliche Landschaft – im Hotel Meinhardt erleben Gäste eine Auszeit, die lange in Erinnerung bleibt. Das Hotel ist bis zum sechsten Jänner 2026 geöffnet. // PR-Info

A Auszeit gönn i mir - do im

So schien wie mirs do hobm, f indesch ah lei in Südtirol HOTEL MEINHARDT IN SCHENNA
A feine Auszeit in Schenna.
Familiengeführt, gemütlich, echt Wellness, gutes Essen und die Aussicht über Meran
Im Hotel Meinhardt, bis 6 Jänner geöff net
Buche mit Code “Südtirol” und f reu dich auf einen Getränkegutschein über 50€ ! (ab 2 Übernachtungen)




Besondere Massagen für den Herbst
Wenn die Tage im Herbst kürzer werden und kühle Temperaturen die Muskeln verspannen, sind regenerierende Massagen eine Möglichkeit, Körper und Seele zu verwöhnen. Besonders beliebt ist die Hot-Stone-Massage. Hier werden erwärmte Basaltsteine auf den Körper gelegt und in sanften Bewegungen über die Haut geführt. Die Wärme löst Verspannungen und fördert die Durchblutung – perfekt, um an kalten Tagen zu relaxen. Einen harmonisierenden Ausgleich bietet die Aromaöl-Massage. Mit ätherischen Körperölen wie Zimt, Orange oder Sandelholz wird nicht nur die Haut gepflegt, sondern auch das seelische Wohlbefinden gestärkt. Herbstliche Düfte schenken Geborgenheit und können gleichzeitig stimmungsaufhellend wirken. Eine andere Variante ist die Kräuterstempel-Massage. In kleinen Beuteln werden Kräuter erhitzt und anschließend über den Körper gestrichen. Die Wärme, kombiniert mit den ätherischen Inhaltsstoffen, gilt als förderlich für die Selbst-

heilungskräfte der Haut. Die Honigmassage nutzt die natürliche Klebekraft und Wirkstoffe des Honigs. Honig wird eine entgiftende und vitalisierende Wirkung zugesprochen. Die Massage schenkt ein erfrischendes Gefühl. Zur Unterstützung des Immunsystems wird oft die Fußreflexzonen-Massage eingesetzt. Durch Druck auf bestimmte Punkte an den Füßen sollen Rezeptoren und Nervenbahnen stimuliert und die Abwehrkräfte aktiviert werden. Ein echtes Wohlfühlerlebnis, beispielsweise auch in der Form eines Geschenkgutscheins, ist die Schokoladenmassage. Mit warmer Schokolade wird die Haut gepflegt, während der Duft von Kakao die Stimmung hebt. Neben Wellnesshotels und Thermen bieten auch Day Spas, Physiotherapiepraxen, Kosmetikstudios, Fitnessstudios sowie mobile Massagedienste verschiedene Anwendungen an und machen den Herbst zu einer Zeit des bewussten Genießens. // Die Hot-Stone-Massage entspannt Muskeln und Geist. Pixabay



Ein Ort der Entspannung
Hydrosoft hat sich im Pustertal in vielen Hotels und in privaten Wohnungen einen festen Platz erobert. Bei Sanierungen und Neubauten bestätigt sich der Trend, sich einen Ort der Entspannung und Gesundheit zu schaffen.
Die Firma Hydrosoft ist ein geschätzter Partner für Planungsbüros und Architekten. Die Mitarbeiter im Pustertal (Paul Oberhuber und Christian Unterfrauner) beraten Sie direkt vor Ort und stellen ihr fundiertes Wissen sowohl den Planern als auch den Bauherren zur Verfügung.
Egal, ob es sich dabei um ein Privatgebäude oder ein Hotel handelt.

Hydrosoft wurde in Anlehnung an die Naturgesetze entwickelt und ist damit die sanfte Antwort auf trockene und heiße Saunas. Das Ergebnis ist ein gestärktes Immunsystem im Kampf gegen Viren und Bakterien,außerdem werden nachweislich die Selbstheilungsprozesse des eigenen Körpers unterstützt. Ganz getreu einer alten indischen Weisheit: „Der Mensch soll einmal am Tag schwitzen und einmal am Tag lachen“.
HYDROSOFT PRIVATE SPA
Alpine Wellnessoase mit Bergblick

Mitten in der „Dolomitenregion 3 Zinnen“ liegt ein Ort der Entspannung: Das Erlebnisbad Acquafun in Innichen vereint Wellness, Natur und Genuss auf besondere Weise. Der Blick auf das Haunold-Massiv, moderne Wasserlandschaften, eine vielseitige Saunawelt und kulinarische Highlights machen es zur idealen Auszeit für Körper und Seele. Das moderne Badeund Saunazentrum bietet mehr als nur Wasservergnügen.

Familien freuen sich über Schwimmbecken, Rutsche und Kinderbereich, während Ruhesuchende in der stilvollen Saunawelt entspannen: Finnische Sauna, Kräuterbad, Infrarotkabine und Dampfbad sorgen für Wohlbefinden – ergänzt durch Ruheräume, Whirlpool und Panoramaterrasse.

Kulinarisch verwöhnt das Acquafun mit hauseigenem Restaurant und Pizzeria - ideal, um den Tag entspannt ausklingen zu lassen. Dank familienfreundlicher Preise, flexibler Eintrittsmöglichkeiten und saisonaler Angebote ist das Acquafun sowohl für Einheimische als auch Gäste attraktiv.
Attraktive Eintrittspreise, Familienkarten und flexible Öffnungszeiten machen das Acquafun zu einem Ort für alle Generationen – ganzjährig, bei jedem Wetter.
Jetzt eintauchen, abschalten und wohlfühlen – im Herzen der „Dolomitenregion 3 Zinnen“. Weitere Informationen gibt es unter www.acquafun.com. // PR-Info



HORMESIS-EFFEKT
Warum kleine Stressreize den Körper besonders stärken
Hormesis steht übersetzt für „Anregung“ oder „Anstoß“. Der Effekt geht auf den Schweizer Arzt Paracelsus zurück und beschreibt, dass kleine, kontrollierte Stressreize positive Anpassungsprozesse im Körper auslösen können. Während zu viel Belastung schädlich wäre, sollen kleine Dosen wie ein Training für den Organismus wirken. Bekannte Beispiele finden sich im Alltag: Kurze Kälteimpulse wie Eisbaden oder Wechselduschen trainieren Kreislauf und Immunsystem, wohingegen Hitze in der Sauna die körperliche Regeneration fördert. Auch physische Belastungen wie Sprints oder hochintensives Intervalltraining gehören dazu. Beim High-Intensity Interval Training wechseln sich kurze, intensive Belastungsphasen mit Erholungsphasen ab und erzeugen starke Anpassungsreaktionen im Körper. Beim Fasten soll der kurzfristige Nahrungsmangel zur Aktivierung von

DEVINE WELLNESS UND SPA INTERNATIONAL
Selbstreinigungsprozessen führen, wodurch die Zellen gestärkt werden. Nicht zuletzt können auch psychische Mini-Stressoren nützlich sein: Begrenzte Herausforderungen im Alltag und das bewusste Verlassen der Komfortzone fördern die seelische Widerstandskraft. Die Basis für eine bessere Resilienz können psychologische Coachings oder psychotherapeutische Begleitungen bilden. Obwohl das Hormesis-Prinzip immer mehr Bekanntheit erfährt, ist bezüglich seiner Wirkung noch Forschungsbedarf vonnöten. Bevor ungewohnte Stressreize wie starke Kälte, Hitze, Fasten oder intensiver Sport ausprobiert werden, kann es individuell empfehlenswert sein, Rat in der Hausarztpraxis zu holen. //
Einzigartige Wohlfühloasen, die berühren
Im gehobenen Wellness- und SPA-Segment zählt vor allem eines: Einzigartigkeit. Denn jede Wellnessanlage soll die Persönlichkeit und Positionierung des Hauses widerspiegeln – und das spüren die Gäste mit jedem Atemzug.
Dabei denken wir über das Design hinaus – wir gestalten & produzieren Atmosphäre, Emotion und Erlebnis. Denn wahre Erholung entsteht dort, wo auch der funktiona-



le Ablauf harmonisch mit Raum, Licht und Material im Einklang steht. Viele Kunden vertrauen uns bei Erweiterungen oder Erneuerungen ihrer SPABereiche – ein deutliches Zeichen, dass unsere Arbeit geschätzt wird.
Ihre Vision. Unser Anspruch. Devine erschafft einzigartige Wohlfühloasen, die inspirieren, entschleunigen und berühren – unabhängig von der Größe des Projekts. Neugierig geworden? Besuchen Sie unsere Homepage www.devine.at. // PR-Info


Die Kalt- und Warmwechsel beim Saunieren trainieren den Kreislauf und stärken das Immunsystem. unsplash
Das Wohlfühlzentrum im Pustertal
Eingebettet in das grüne Pustertal, umgeben von der eindrucksvollen Bergkulisse der Dolomiten und in unmittelbarer Nähe zum Skigebiet Kronplatz, steht das Cron4 in Reischach für Erholung, Gesundheit und Bewegung in all ihren Facetten. Die Struktur ist ein beliebter Treffpunkt für Jung und Alt, für Familien, Freizeitsportler, Schulen und Vereine ebenso wie für Gäste, die Ruhe und Entspannung suchen. Das Cron4 vereint eine moderne Badelandschaft mit fünf Becken und großzügigen Ruhezonen mit einer weitläufigen Sauna- und Wellnesswelt, die im Stil eines Almdorfes angelegt ist. Hier treffen Tradition und Natürlichkeit auf zeitgemäßen Komfort. Holz, Stein und Wasser prägen die Atmosphäre, in der Körper und Geist neue Kraft schöpfen können. Die Weiterentwicklung des bewährten Konzepts steht im Mittelpunkt:

Das Cron4 setzt auf Gesundheitsförderung und aktive Freizeitgestaltung – mit Angeboten, die Bewegung, Regeneration und soziale Begegnung verbinden. Ob sportlich im Wasser, entspannt in der Sauna oder vitalisierend im Wellnessbereich – das Haus schafft Raum für ganzheitliches Wohlbefinden und Lebensqualität. Mit dieser Ausrichtung bleibt das Cron4 ein bedeutender Bestandteil des Freizeit- und Gesundheitsangebots im Pustertal – ein Ort, an dem sich Tradition und Innovation begegnen. Geführt wird das öffentliche Wohlfühlzentrum von der „Bruneck Aktiv GmbH“, Eigentümer sind die Stadtwerke Bruneck. Seit September steht das Cron4 unter der Leitung von Florian Lahner, der die Einrichtung mit frischen Impulsen und einem klaren Fokus auf Qualität, Vielfalt und Zugänglichkeit weiterführt. // PR-Info







STÄRKENDE GETRÄNKE
Tees, Shakes und Shots für kalte Tage
Wenn draußen Wind und Kälte an der Tagesordnung sind, tut es gut, den Körper mit wärmenden und stärkenden Getränken zu versorgen. Tees, Shakes und GesundheitsShots liefern Nährstoffe, die das Immunsystem unterstützen. Ein Klassiker ist der Ingwertee. Mit frischen Ingwerscheiben, heißem Wasser und einem Spritzer Zitrone wirkt er belebend, durchwärmt von innen und stärkt die Abwehrkräfte. Ähnlich wohltuend ist die „Goldene Milch“, die mit Kurkuma, warmer Milch oder Mandeldrink, etwas Pfeffer und Honig zubereitet wird. Kurkuma gilt als entzündungshemmend und schenkt ein angenehm wärmendes Gefühl. Auch Kräutermischungen mit Salbei, Thymian oder Holunderblüten sind ideal für kalte Tage. In Bio-Qualität sind sie in Reformhäusern, Bio-Lebensmittelgeschäften oder im Fachhandel für Tee und Naturprodukte erhältlich. Sie beruhigen Hals und Atemwege, wirken schleimlösend und unterstützen den Körper bei Erkältungsbeschwerden. Außerdem bringen Shakes Abwechslung ins Glas.

Ein Beeren-Smoothie liefert Vitamine und Antioxidantien, die freie Radikale abfangen. Heidelbeeren, Himbeeren oder Waldbeeren, ergänzt durch Joghurt und Honig, ergeben einen erfrischenden Immunbooster. Grüner wird es mit einem Power-Shake aus Spinat, Apfel und Zitrone: Spinat liefert Eisen und Magnesium, Äpfel bringen Ballaststoffe und Zitronen Vitamin C. Schnelle Energie erhält man durch gesunde Shots. Der Ingwer-Zitronen-Shot gilt als Klassiker. Er ist scharf und vitaminreich und perfekt für einen Gesundheitsschub am Morgen. Ein Rote-Bete-Shot versorgt den Körper mit Eisen, B-Vitaminen und Folsäure. Er fördert die Durchblutung und kann die Leistungsfähigkeit steigern. Manche Gesundheitsfans greifen zu Weizengrassaft. Dieser ist reich an Chlorophyll, Vitaminen und Mineralstoffen – ein konzentrierter Energiekick in nur wenigen Schlucken. //
ZAHNARZTPRAXIS DR. SANDRO VILLANI
Lächeln ist für unsere Gesundheit immer wichtiger!
Leiden Sie an Erkrankungen, Verletzungen, Fehlbildungen oder sonstigen Veränderungen, welche die Zähne, Mund, Kiefer oder Gesicht betreffen? Ob Sie sich für eine einfache Visite vorstellen, sich rund um Ihre Zähne informieren möchten oder für komplexere Fragestellungen zu uns kommen, Sie werden über die modernsten Erkenntnisse über Zahn-, Mund- und Kieferheilkunde informiert.
RELAX, CONFIDENCE UND LIFESTYLE
Mit diesen drei Wörtern könnte man das Kompetenzzentrum umschreiben, das von Dr. Sandro Villani und seinem hochqualifizierten Team geführt wird. Dr. Villani, Facharzt für Kieferorthopädie und Kie-
ferchirurgie, war jahrelang Primar der Abteilung für Zahn-, Mund- und Kieferheilkunde im Krankenhaus von Bruneck und war Vertragsprofessor in Parma. Er und sein Team erwarten die Patienten in seiner Zahnarztpraxis, die von vielen schon als Wohlfühloase und hochgewertetes Kompetenzzentrum bezeichnet worden ist. // PR-Info

Dr. Sandro Villani Facharzt für Kieferorthopädie und Kieferchirurgie




Zahnspangen / Ortodonzia
Zahnimplantate / Implantologia dentaria
Kiefergelenkstherapie / Articolazione temporomandibolare Mund- und Kieferchirurgie / Chirurgia orale e maxillo-facciale Ästhetik / Estetica
Smoothies in alle Variationen liefern Vitamine und Antioxidantien... unsplash
Wohnen, Leben und Erleben
Die Freude am Wohnen beginnt dort, wo Räume zu Lebenswelten werden – mit Persönlichkeit, Stil und Substanz. Genau hier setzt die Jungmann Home-und-Lifestyle-Messe 2025 an: mit einem vielseitigen Programm, das vom 23. bis 26. Oktober 2025 in den Einrichtungshäusern von Jungmann in Sand in Taufers, Brixen und Neumarkt stattfindet. Die Messe ist ein Highlight im Jahreskalender für alle, die sich neu in ihr Zuhause verlieben möchten – und das mit allen Sinnen.
Im Mittelpunkt stehen erneut vielseitige Workshops, informative Vorführungen und persönliche Beratung durch Fachkräfte und Markenpartner. Von Polstermöbeln über Schlafsysteme bis hin zu Vorhängen und Dekostoffen erhalten Besucher:innen praktische Tipps, kreative Impulse und wertvolle Einblicke in modernes Wohnen.
Zahlreiche Hersteller:innen präsentieren direkt vor Ort aktuelle Kollektionen und Trends – zum Ansehen, Anfassen und Ausprobieren.
LIVE COOKSHOW IN SAND
In Sand in Taufers erwartet die Besucher:innen ein besonderes Highlight: Die Bora-Live-Cookshow bietet exklusive Einblicke in die innovative Welt der Kochfeldabzüge und Dampfbacköfen. Die LiveVorführungen zeigen, wie Kochen nicht nur effizient, sondern auch stilvoll und nahezu geruchsfrei funktioniert.
Dazu gibt es frisch zubereitete Kostproben direkt aus der Showküche – ein Genuss für alle Sinne.
Die Besucherinnen und Besucher können sich auf spannende Markenauftritte, kreative Wohninszenierungen und inspirierende Gespräche mit den Beraterinnen und Berater vor Ort freuen. Auch in
Sand in Taufers lohnt sich der Besuch doppelt: Das Bistro lädt zu einem Frühschoppen-Angebot ein – stilecht und genussvoll, natürlich zum besonderen Messepreis. Die ideale Gelegenheit für eine stärkende Pause und den perfekten Start in den Messetag.
MESSEANGEBOTE UND ERWEITERTE ÖFFNUNGSZEITEN
Während der vier Veranstaltungstage profitieren Besucherinnen und Besucher von exklusiven Messeaktionen und attraktiven Rabatten. Ob neues Sofa, clevere Küchenlösung oder individuelle Einrichtungsidee: Ein Besuch lohnt sich doppelt.
Ein besonderes Plus: Alle Jungmann-Filialen sind an diesem Wochenende auch am Sonntag den 26. Oktober 2025 geöffnet. So bleibt ausreichend Zeit, die Ausstellungen in Ruhe zu erkunden und Entscheidungen ganz entspannt zu treffen.
Die Jungmann Home-und-Lifestyle-Messe zeigt, wie inspirierend Wohnen sein kann – mit starken Marken, spannenden Themen und echten Erlebnissen. Auch für die jüngsten Gäste ist bestens gesorgt: Ein buntes Animationsprogramm mit Spiel, Spaß und kreativen Überraschungen sorgt dafür, dass der Messebesuch zu einem Erlebnis für die ganze Familie wird
Vier Tage - unzählige Möglichkeiten: An diesen Messetagen können die Besucher voll und ganz in das Thema Wohnen eintauchen und sich vor Ort von aktuellen Wohntrends, hochwertigen Materialien und innovativen Einrichtungsideen inspirieren lassen. Persönliche Beratung, interaktive Vorführungen und individuell erlebbare Wohnwelten machen den Messebesuch zu einem besonderen Erlebnis – für alle, die ihr Zuhause neu denken möchten. // PR-Info

JAPANISCHES GEHEN
Effektives Training im Alltag
Das japanische Gehen wurde an der Shinshu-Universität in Japan entwickelt und gilt als sehr wirksame Methode, um Ausdauer, Muskeln und Herz-Kreislauf-System zu stärken. Das Prinzip ist einfach: Drei Minuten zügiges Gehen, so schnell, dass man leicht außer Atem gerät, wechseln sich mit drei Minuten langsamem Gehen ab. Eine Trainingseinheit dauert etwa 30 Minuten und lässt sich problemlos in den Alltag einbauen. Wissenschaftliche Studien zeigen, dass diese Form des Intervallgehens deutliche Effekte bringt. Sie verbessert die Sauerstoffaufnahme und den Blutzuckerspiegel, senkt den Blutdruck und kräftigt die Muskulatur. Auch ältere Menschen profitieren davon, da die Belastungsphasen nicht nur die Ausdauer, sondern auch die Rumpfstabilität fördern – ein wichtiger Faktor, um Stürze zu vermeiden. Das japanische Walken ist ein gelenkschonendes Ausdauertraining, bei dem keine Nordic-Walking-Stöcke nötig sind, da die Arme locker mitschwingen. Empfehlenswert sind bequeme Schuhe mit flexiblen Sohlen sowie atmungsaktive Kleidung, die Bewegungsfreiheit lässt – erhältlich im Sportfachhandel, in Outdoor-Läden sowie in Natur- und Gesundheitsschuh-Geschäften.

Intervallgehen verbindet Ausdauertraining mit sanfter Belastung und eignet sich für Jung und Alt. unsplash
Dank des japanischen Gehens verwandelt sich ein Spaziergang in ein kleines, wissenschaftlich fundiertes Fitnessprogramm, das Körper und Geist stärkt. //





































„ES IST SCHADE DIE WELT ZU ÜBERFLIEGEN,
REISEN SIE MIT DEM BUS UND ENTDECKEN SIE DIE WUNDERSCHÖNEN LANDSCHAFTEN EUROPAS“
Wir legen großen Wert auf Ihre Sicherheit und auf die Qualität der Dienstleistungen, sowie auf die Pflege und Wartung unserer Busflotte.
Unsere Fahrzeuge haben eine Kapazität von 8 bis 60 Passagieren, mit der Möglichkeit, Skiträger oder Fahrradanhänger anzubringen.
Wir bieten Ihnen organisierte Gruppen- und Individualreisen an. Wir freuen uns, Sie an Bord unserer Busse begrüßen zu dürfen.
LAUBEN REISEN K.G. - BUSUNTERNEHMEN
Lauben Nr. 38, Neumarkt (BZ) | Tel. 0471 820 270 | info@laubenreisen.it www.laubenreisen.it | „Busunternehmen Lauben Reisen“
Die Welt mit dem Bus erleben

Lauben Reisen („Eccli“), gegründet 1963, ist eines der traditionsreichsten Busunternehmen im Südtiroler Unterland. Wir bieten organisierte Gruppen - und Individualreisen an und legen hohen Wert auf die Qualität der Dienstleistungen, des Bordservice, der Sicherheit und Pflege unserer Busflotte. Der Fuhrpark besteht aus Fahrzeugen mit der Kapazität von 8 bis 60 Personen. Ergänzt wird unser Angebot durch Skiträgern in verschiedenen Größen, einem Fahrradanhänger für 50 Fahrräder und einem Kofferanhänger. Weitere Dienstleistungen sind Transferfahrten mit PKWs (MMF) und Reisebussen zu Flughäfen und Häfen, zu verschiedenen Badeorten und Skizentren, in kulturelle, religiöse Reiseziele und Städte, in Italien und Europa. Gerne organisieren wir mit Ihnen Ihre nächste Reise und freuen uns darauf, Sie an Bord unserer Reisebusse begrüßen zu können. // PR-Info
LAUBEN REISEN
Der Spezialist für Ihre Sicherheit
Der Schlüsseldienst in der Bozner Quireinerstraße ist seit Jahrzehnten ein kompetenter Wegbegleiter, wenn es ums Thema Sicherheit geht.
Gegründet wurde das Unternehmen im Jahre 1949 von Paul Zenleser, zunächst als Herd- und Bauschlosserei. Das Anfertigen von Nachschlüsseln und die Montage von Schlössern gehörten von Anfang an zu den Haupttätigkeiten des Geschäfts: Im Jahr 1955 nahm Paul Zenleser die erste mechanische Schlüsselfräsmaschine Südtirols in Betrieb. 1960 wurde die Bauschlosserei eingestellt und der Schwerpunkt des Betriebes auf Schlüssel und Schlösser verlagert. 1990 übernahm Günther Zenleser das Unternehmen, das sich heute durch technisches Know-how, höchste Qualität sowie modernsten Arbeitstechniken auszeichnet.
24-STUNDEN-NOTDIENST
Zur Kerntätigkeit des Unternehmens gehören fachgerechte und kostengünstige Türöffnungen (24-Stunden-Notdienst in ganz Südtirol und im Trentino unter der Handynummer 335/7459417,auch an Sonn- und Feiertagen) sowie die kompetente Reparatur und Montage von Zylindern, Türschließern, Türöffnern, Panikschlüssen sowie mechanischen und elektronischen Tresoren und vielem mehr. Das Unternehmen Zenleser führt und fertigt außerdem alle derzeit auf dem Markt erhältlichen Schlüssel (sofern nicht patentrechtlich geschützt) und liefert marktgängige Schlösser, ebenso Schließzylinder, Schließanlagen, mechatronische Schließsysteme, Fenstersicherungen, Zusatzschlösser, Schutzbeschläge, Gitterrostsicherungen, Elektro-Türöffner, Tür- und Motorriegel- Rettungswegtechnik, Sicherheitsschlösser, Zutrittskontrollanlagen, Feststellanlagen und vieles mehr. Die Palette umfasst zum Beispiel Produkte von DormaKaba, Z. Ikon, Cisa, Yale, Iseo, Dom, Welka, Viro, Hoppe, Mul-t-lock, Esety und Eff-Eff.
DEN EINBRECHERN KEINE CHANCE

Weiters bietet das Geschäft eine Reihe von Tresor-Modellen an –und zwar von Möbel- bis Wandtresoren, Waffenschränken sowie Dokumenten- und Datenschutzschränken. Wer möchte, kann sich einen eigenen Tresor anfertigen lassen, der auf seine individuellen Bedürfnisse abgestimmt ist. Für Privathaushalte und Firmengebäude erstellen die Südtiroler Sicherheitsexperten Schließpläne und installieren fachgerecht die gewünschten Schließanlagen. Wer nach einer optimalen Absicherungstechnik für Wohnung oder Haus sucht, sollte mit den Profis einen unverbindlichen Beratungstermin vor Ort vereinbaren. // PR-Info
Sicherheit ist unser

Mechanische, mechatronische und elektronische Lösungen Schließsysteme bieten vielfältige Lösungen zur Absicherung einzelner Türen und zur Planung moderner Schließanlagen. Die mechanischen, mechatronischen und elektronischen Varianten stehen für Komfort und Sicherheit - und lassen sich als solitäres System, aber auch als Kombination individuell und wirtschaftlich umsetzen.

Mechanische Schließsysteme - Komfortable Sicherheit

experT plus
Elektronische SchließsystemeDas moderne elektronische Schließsystem


Mechatronische SchließsystemeDas Beste aus zwei Technologiewelten


Mechanisch, mechatronisch und elektronisch. Mit ZENLESER GmbH ist das keine Entweder-Oder-Entscheidung. Und das ist auch gut so, denn der Trend geht hin zu Systemen, die mechanische Schließzylinder mit mechatronischen und elektronischen Lösungen kombinieren.

I-39100 Bozen (BZ) | Quireinerstr. 44/A Tel. + 39 0471 26 24 96 | Fax + 39 0471 40 52 84 info@zenleser.it | www.zenleser.it
DORMAKABA
Kaba
ISEO Libra
IKON VERSO® CLIQ

BLACKMECHANIX EMPFIEHLT “PULS-AIR”
Die innovative Heizung aus Tirol
Die Werkstatt der Blackmechanix ist anders – schwarz glänzend mit Lounge, Espresso, Gin & Rennsimulator. Ein anderer Weg wird seit 2024 auch bei der Beheizung der edlen Werkstatt eingeschlagen. Puls-air, eine heizölbetriebene Werkstattheizung mit patentierter Verbrennungstechnik, bringt angenehme Wärme bei geringsten Heizkosten.
Nachdem die bestehende Heizung für hohe Kosten bei einer schlechten Wärmeverteilung sorgte, begab sich das Blechmechanix Team auf die Suche nach einer Alternative. Über das Internet wurden sie auf Puls-air aus Tirol aufmerksam.
Puls-air ist keine gewöhnliche Ölheizung. Verbaut ist nämlich die patentierte pulsierende Verbrennung, die für eine enorme Wärme bei geringem Ölverbrauch sorgt. Durch seine kompakte Bauweise traut man es dem Gerät oft nicht zu, aber mit einer Heizung von Puls-air können Räume bis zu 2.000 Kubikmeter beheizt werden (bei guter Isolierung). Größere Hallen können problemlos auch mit 2 oder mehr Einheiten ausgestattet werden.
PULS-AIR IST ANDERS

Inhaber Jochen Trettl: „Die Puls-airHeizung läuft sehr leise und beheizt unsere große Halle schnell, effektiv und ohne Gestank.”
Die verbaute patentierte pulsierende Verbrennung ist keine „Gleichstromverbrennung“, sondern eine „Wechselstromverbrennung“. Das bedeutet, dass die Frischgassäule (Brennstoff und Luft) und die Ab-

gassäule in der Brennkammer 62 Mal pro Sekunde aufeinandertreffen. Beim Aufeinandertreffen entstehen viele kleine Reaktionen, die Wärme erzeugen. Bei jeder Reaktion entsteht zusätzlich eine Druckwelle, begleitet von einer Schallwelle, welche beim Wirkungsgrad noch obendrauf gerechnet werden müssen. Der Wirkungsgrad liegt mindestens bei 97 %.
HEISSE AUTOS – HEISSE WERKSTATT
Puls-air wird physikalisch richtig am Fußboden des zu beheizenden Raumes platziert – so kann sich die warme Luft unten wo gearbeitet wird verteilen, steigt dann langsam auf, kühlt oben wieder ab, sinkt wieder ab und wird durch den Ventilator am Gerät vorgewärmt immer wieder am Brenner vorbeigezogen. Somit entsteht eine thermische Luftwalze, die den gesamten Raum gleichmäßig erwärmt und die Heizkosten stark verringert.
EINFACHE INBETRIEBNAHME (Plug and Play)
Puls-air ist so kompakt, dass sie auf einer Europalette geliefert wird. Abmessungen ca. 75 x 55 x 95 cm bei 75 kg. Das Abgas wird mit einem 35 mm Edelstahlrohr über Dach ins Freie geleitet. Es ist kein separater Kamin notwendig! Vom Hersteller wird empfohlen das Gerät mit einem größeren Heizöl-Tank zu verbinden.
Das Puls-air-Team berät Sie telefonisch, per Mail oder per WhatsApp welches Heizgerät für Sie das richtige ist. Dabei werden alle Fragen geklärt. // PR-Info





Wohlige Wärme aus der Region
Mit dem erfolgreichen Start des neuen Pelletswerks in Assling setzt das Familienunternehmen Theurl einen weiteren Meilenstein in seiner nachhaltigen Unternehmensentwicklung. Nach einem Jahr intensiver Planungs- und Bauphase läuft die Produktion hochwertiger Pellets seit Anfang Oktober auf Hochtouren – ein klares Zeichen für Innovationskraft und gelebte Ressourceneffizienz.
KREISLAUFWIRTSCHAFT AUF HÖCHSTEM NIVEAU
Mit dem neuen Werk wird künftig jeder Teil des Baumstammes vollständig verwertet. Neben Brettschichtholz (BSH), Brettsperrholz (CLTPLUS), Hobelware und Schnittholz produziert Theurl nun auch Pellets aus 100 % eigener Restholzverwertung – ein Paradebeispiel für gelebte Kreislaufwirtschaft und nachhaltige Ressourcennutzung. Mit einer Investition von rund 70 Millionen Euro in einen modernen Produktionsstandort mit einer Jahreskapazität von 80.000 Tonnen Pellets sowie einer angeschlossenen KWK-Anlage zur thermischen und elektrischen Energieerzeugung setzt Theurl ein starkes Zeichen für Innovationskraft, Energieeffizienz und regionale Wertschöpfung.
PELLETS AUS DER REGION, FÜR DIE REGION
Theurl-Pellets stehen für kurze Transportwege, höchste Qualität und verantwortungsvollen Umgang mit Ressourcen. Hergestellt aus Sägenebenprodukten der laufenden Produktion, leisten sie einen wichtigen Beitrag zur regionalen Energieversorgung und zum Klimaschutz.
ZUVERLÄSSIGE LIEFERUNG DANK EIGENEM FUHRPARK
Um eine flexible und verlässliche Zustellung sicherzustellen, investierte Theurl in einen firmeneigenen Fuhrpark mit Silo-LKWs. Damit werden Haushalte und Betriebe in Osttirol, Südtirol, Oberkärnten

und Pinzgau direkt vom Werk beliefert – pünktlich, planbar und ohne Zwischenhändler.
KOMFORTABLE ONLINEBESTELLUNG

Pellets können ganz einfach über die neue Website www.theurl-pellets.at bestellt werden – sowohl lose als auch in Säcken. Kundinnen und Kunden profitieren von tagesaktuellen Preisen, flexibler Terminwahl und dem Komfort einer Onlinebestellung rund um die Uhr. // PR-Info
ÜBER THEURL
Theurl ist ein in dritter Generation geführtes Familienunternehmen mit über 90 Jahren Erfahrung in der Holzverarbeitung. Mit rund 420 Mitarbeitenden an den Standorten Assling (Osttirol) und Steinfeld (Kärnten) zählt Theurl zu den führenden holzverarbeitenden Betrieben in Mitteleuropa. Neben Schnittholz, Hobelware, Brettschichtholz und Brettsperrholz fertigt Theurl auch montagefertige Bausätze im eigenen CNC-Zentrum. Mit dem neuen Pelletswerk erweitert das Unternehmen seine Wertschöpfungskette und setzt ein starkes Zeichen für eine nachhaltige und zukunftsorientierte Energieproduktion. Weitere Informationen gibt es unter www.theurl-pellets.at //


WÄRME AUS DER REGION
Welche Lebensmittel jetzt guttun
Der Herbst bringt eine Vielfalt an Lebensmitteln auf den Tisch, die nährend für Körper und Seele sind. Durch den Einkauf saisonaler Produkte, beispielsweise auf dem Bauernmarkt, profitiert man von Nähstoffreichtum und intensiven Aromen.
Typisch für die Herbstküche ist der Kürbis. Ob als cremige Kürbissuppe mit Ingwer oder im Ofen geröstet mit Rosmarin – Kürbis ist ein echter Allrounder. Auch Äpfel zählen zu den Klassikern im Herbst. Ein gebackener ApfelCrumble gilt als Essen für die Seele: Unter einer knusprigen Schicht aus Butterstreuseln verbergen sich saftig geschmorte Apfelstücke, die warm besonders an grauen Tagen aufmunternd sind. Gesünder ist ein Haferporridge mit Äpfeln und Birnen. Das warme Frühstück besteht aus Haferflocken, die in Milch oder Mandelmilch aufgekocht werden. Es wird mit Toppings wie Nüssen, Zimt und Honig verfeinert. In Rotwein pochiert oder als Birnenkompott auf Pfannkuchen werden Birnen zum Comfort-Food für die Psyche. Kräftige Farben auf den Teller bringen Rotkohl und Grünkohl. Eine herbstliche Rezeptidee ist gedünsteter Grünkohl, der kurz in der Pfanne geschwenkt und mit gerösteten Walnüssen, Granatapfelkernen und Feta kombiniert wird.
BESSER HÖREN
Rotkohl-Carpaccio besteht aus hauchdünnen Rotkohlscheiben. Sie werden mit Orangenfilets, gerösteten Kürbiskernen und einem Dressing aus Olivenöl, Granatapfelsirup und Ingwer versehen. Kleine Vitaminwunder sind Hagebutten. Aus ihnen lässt sich ein fruchtiges Mus kochen, das gesüßt wird und gut zu Joghurt oder als Brotaufstrich passt. In fertiger Form ist es in Bioläden, Reformhäusern oder ausgewählten Lebensmittelmärkten zu finden. //


Ihr Experte für besseres Hören und mehr Lebensqualität
Hören verbindet – es ist die Grundlage für Gespräche, Beziehungen und echte Lebensfreude. Wenn das Gehör nachlässt, bemerken Betroffene oft zunächst kleine Veränderungen: Man bittet häufiger nachzufragen, Gespräche in Gruppen werden anstrengend, und man fühlt sich schneller ausgeschlossen.
Mit Besser Hören haben Sie in ganz Südtirol einen zuverlässigen Partner an Ihrer Seite, der Ihnen den Weg zurück zu mehr Lebensqualität erleichtert. Dank 27 Servicestellen –von Bozen bis Bruneck, von Meran bis Sterzing – sind wir immer in Ihrer Nähe. Unsere erfahrenen Hörakustiker bieten Ihnen persönliche Beratung, kostenlose und unver-
bindliche Hörtests sowie modernste Hörsysteme, die individuell auf Ihre Bedürfnisse abgestimmt sind. Besonders geschätzt wird unsere Nähe und Flexibilität: Sie entscheiden, ob Sie uns in einer unserer Filialen besuchen oder ob wir direkt zu Ihnen nach Hause kommen. Dort führen wir professionelle Hörmessungen in vertrauter und entspannter Atmosphäre durch – ganz ohne zusätzlichen Aufwand für Sie. Unser Ziel ist es, für jeden Menschen die perfekte Hörlösung zu finden.
Wenden Sie sich an eine unserer 27 Servicestellen in Südtirol oder vereinbaren Sie direkt einen Termin unter Tel.: 0471 263390 oder per E-Mail an info@besserhoeren.it. // PR-Info

Ein Apple Crumble für die Seele. unsplash Gesunder Klassiker: die Kürbissuppe. Pixabay

SONDERTHEMA
TOLLE GESCHENKIDEEN
Reservieren Sie jetzt Ihre Anzeige in der meistgelesenen Zeitung im Pustertal!
Die PZ-Ausgaben mit allen Sonderthemen auch online auf www.pz-media.it
PAKET A
1/4 Seite Inserat in der PZ + 1/4 Seite Gratis-PR-Info
50 Werbespots auf Radio Holiday (30 Sek. + Spotproduktion inklusive)
Gesamtpreis: 990,00- € + MwSt
PAKET B
1/2 Seite Inserat in der PZ + 1/2 Seite Gratis-PR-Info
100 Werbespots auf Radio Holiday (30 Sek. + Spotproduktion inklusive)
Gesamtpreis: 1.757,00- € + MwSt


Bruneck · Sand in Taufers · Tel 0474 410933 · www.zieglauer.it
PARFUMERIE DROGERIE
Kinder-Rätselspaß mit PZ-Pezi Kinder-Rätselspaß mit PZ-Pezi
Halloween- Masken!
Von welcher Maske gibt es nur eine?
Eines Nachts in einem alten schottischen Schloss: Ein Gast, der durch die Gänge irrt, trifft auf ein Gespenst. „Ich bin schon seit 400 Jahren hier!“, stöhnt es schaurig.
„Ah, das trifft sich ja wunderbar! Dann wissen Sie doch sicher, wo hier die Toiletten sind.“
Süßes oder Saures
Caro macht sich auf den Weg von Haus zu Haus zu gehen und Süßigkeiten zu sammeln. Zeigst ihr den Weg?
Halloween
Finde die 10 Unterschiede!
Mumien Lichter für Halloween
Du brauchst:
- leere Gläser, z.B. Marmeladengläser
- eine Mullbinde
- Augen zum Aufkleben (oder du malst Augen auf Papier und schneidest sie aus)
- Teelichter oder ähnliches

Je nach Größe der Mullbinde muss man sie evtl. einmal längs durchschneiden oder doppelt legen. Halbiert reicht sie für ca. 3 Gläser. Die Mullbinde möglichst NICHT gerade und auch nicht schön fest um die Gläser wickeln. Da kann man etwas probieren. Das Ende einfach unter die oberste nebenliegende Lage stecken.
Zum Schluss die Augen aufkleben oder aufmalen und jeweils ein Teelicht in die Gläser stellen. Fertig sind die gruseligen Mumien Lichter. Lösungen auf Seite
ANNAHMESCHLUSS
für Glückwünsche & Wortanzeigen: 28.10.2025 Die nächste Ausgabe erscheint am: 06.11.2025
KLEINANZEIGER


AUTO & ZUBEHÖR


Tel. 0474 550 830
E-Mail: info@pz-media.it
Rubrik: Kleinanzeiger www.pz-media.it
Pustertal: Lokaler Linden- & Blütenhonig, 1kg oder 500g zu verkaufen. Ab 5 Gläsern kostenlose Hauszustellung. Naturrein genießen. Tel. 329 2559770 Trockenes, gespaltenes Brennholz zu verkaufen. Tel. 346 4703519
Apfelsaft in Flaschen zu 1 l oder in Kartonen zu 3 ,5 oder 10 l sowie frische Äpfel beim Hausmann-Hofladen gegenüber der Bushaltestelle in Raas zu verkaufen. Tel. 3386371945
1.000 Gesundheitswochen. Ab 395 € - Südtirol – europaweit. Yoga, Wellness. Entschlacken, entspannen, abnehmen. Intervall-, Basen- und Rohkostfasten. FastenwanderleiterAusbildung im Oktober. Ganzjährig. Tel. 0049(0)631 47472 www.fasten-wander-zentrale.de Entrümpelungs-und Umzugsservice im Pustertal: Seeber Andreas, Tel. 349 6648312 oder seeber.andreas74@gmail.com
Wir suchen Gebrauchtwagen
- Alle Modelle - BaujahrePreisklassen
- Auch Fahrzeuge mit hohen Kilometerstand, sowie Unfall-, Getriebe-, oder Motorschaden
Autonita - Bruneck - Pustertal

Autonita
d. Nuka Dardan
Fabrikstraße 2 (gegenüber Karosserie Leitner) | Bruneck
Tel.: +39 347 732 49 95 nuka.autonita@outlook.it
FREIZEIT
Ein Herr aus Welsberg sucht eine Dame für gemeinsame Unternehmungen und die ihm ein wenig im Haushalt hilft. Tel. 329 7363951/339 2116393
ALLES MÖGLICHE
Terenten: Trockene, gut gelagerte 150 Stück Waldschabe für Bauernofen und 3 Meter Brennholz, 30cm lang zu verkaufen. Lieferung im Raum Terenten möglich. Tel. 340 1918174



Bruneck: 2 Laufräder und ein Kinderreisebett neuwertig, wenig gebraucht an Selbstabholer günstig abzugeben. Tel. 340 9467539
www.zahnarzt-ungarn-heviz.de

www.zahnarzt-ungarn-heviz.de
• seit über 15 Jahren erfolgreich in Südtirol
• seit über 15 Jahren erfolgreich in Südtirol
• ganzjährig geöffnete Partnerpraxis für Vor- und Nachbehandlungen in VINTL
• ganzjährig geöffnete Partnerpraxis für Vor- und Nachbehandlungen in VINTL
• eine der größten Kliniken Ungarns mit 45-jähriger Erfahrung
• eine der größten Kliniken Ungarns mit 45-jähriger Erfahrung
7-8m³ gespaltenes, 3 Jahre trocken gelagertes Ofenholz für Bauernofen um 40€/Meter in Uttenheim und 13m langes Dachrinnenheizungskabel zu verkaufen. Tel. 346 9504745
• bestens ausgestattete Räumlichkeiten und 21 hochquali zierte Zahnärzte
• bestens ausgestattete Räumlichkeiten und 21 hochquali zierte Zahnärzte
FREUNDSCHAFT & LIEBE
• Top-Qualität und beste Behandlungsmöglichkeiten für Angstpatienten auch im Dämmerschlaf
• Top-Qualität und beste Behandlungsmöglichkeiten für Angstpatienten auch im Dämmerschlaf
• wöchentlicher Transfer im Dental-Taxi
• wöchentlicher Transfer im Dental-Taxi
• Professionalität und Herzlichkeit sprechen für uns
• Professionalität und Herzlichkeit sprechen für uns
339 10 70 714
339 10 70 714
44-jähriger solider und charmanter Bauernsohn, im öffentlichen Dienst tätig, sucht eine bodenständige Partnerin (max. 37 Jahre) mit dem Herz am rechten Fleck. SMS oder WhatsApp. Tel. 340 9830783. Ich freu mich auf dich.

Welche gut aussehende Frau (ab 50 Jahren) möchte einen sportlichen, schlanken Herrn kennenlernen?
Tel. 389 0609585
STELLENMARKT
Stellensuche
Eine ortsansässige Frau mit langjähriger Erfahrung und Referenz aus Bruneck sucht eine Arbeit am Abend oder für den Nachtdienst bei einer pflegebedürftigen Person. Tel. 320 6456630
Stellenangebot
Residence Ćiasa Giovâni in Kolfuschg sucht für die Wintersaison ein Zimmermädchen zur Unterstützung bei der Reinigung der Apartments, jeweils samstags vormittags. Tel. 339 1747382 Suche samstags Reinigungskraft für Ferienwohnungen in Olang. Zug-, Busverbindung vorhanden. Tel. 3475005414
Ob Vollzeit, Teilzeit, nur ein paar Tage oder nur am Wochenende?
Bei uns findest du einen Job, der zu deinem Leben passt. Für unsere Filialen in Olang, St. Lorenzen, Sand in Taufers, Luttach, Welsberg und Toblach suchen wir Verstärkung. Hast du Lust, dabei zu sein?
Bewirb dich und werde Teil von etwas Besonderem!



Wir suchen eine motivierte und freundliche Verkäuferin in Teilzeit für unseren Home Store am Graben in Bruneck. Du hast Freude am Umgang mit Kunden, bist kommunikativ und hast ein Auge für schöne Dinge? Dann bist du bei uns richtig! Melde dich jetzt und werde Teil unseres Teams!
ULBRICH Home Store Tel. 0474 555900 oder 348 2213705

mehr.



Lkw-Fahrer für Getränkezustellung (m/w/d)
Mit Führerschein B oder C im Hochpustertal Arbeitsbeginn ab November oder nach Vereinbarung
Wir bieten:
abwechslungsreiche Tätigkeit umfangreiche Einarbeitung und Weiterbildungsmöglichkeiten
5 Tage Woche sicherer Arbeitsplatz mit unbefristetem Arbeitsvertrag überdurchschnittliche Entlohnung
Fahrer/in mit C-Führerschein für Abfallsammelfahrzeug im Großraum Bruneck gesucht.
• Arbeitszeit: Vormittagsturnus
• Attraktive Vergütung: überdurchschnittliche Bezahlung
+ Welfareleistungen

• Ideal für Landwirte, die nachmittags auf ihrem Betrieb arbeiten möchten Werde du Teil unseres Teams! Interessiert?
Rufe uns an unter: 348 8715354 (Paul)



ICH BIN WALTER
“Heute sind die Kilometer weniger geworden, dafür ist meine Lebensqualität umso größer.”


Wir suchen:
Euroclima sucht Verstärkung (m/w/d):
• EDV-MITARBEITER
• IT-MITARBEITER
• PROJEKTBETREUER Technik und Verkauf
• TECHNISCHER SACHBEARBEITER
• ELEKTRIKER
• TEAMLEADER in der Produktion
• METALLFACHARBEITER für die Bedienung der Biegemaschine
• MITARB. EINKAUF/ SEKRETARIAT
• METALLFACHARBEITER
• METALLFACHARBEITER in Früh- und Spätschicht in der Montage
• METALLFACHARBEITER
• SCHWEISSER
Bewerbungen bitte an personal@euroclima.com Tel. 0474/570900
• BETRIEBSTECHNIKER Schwerpunkt Maschinenwartung & Elektrik Dich erwartet:
Werde Teil unseres jungen Teams in Bruneck und bewirb dich unter:
• Betriebsergebnisprämie, Entwicklungsperspektiven, attraktive Sozialleistungen und Benefits
Aktuelle Jobangebote (m/w): personal@euroclima.com Tel. 0474/570900
• Führungs- bzw. Schichtzulagen
• Selbständiges Arbeiten und Wertschätzung
• Flache Hierarchien und kurze Entscheidungswege
Weitere INFOS unter www.euroclima.com oder www.karriere-suedtirol.com
Wir freuen uns auf deine Bewerbungsunterlagen.
personal@euroclima.com | Tel. 0474-570900 | www.euroclima.com
ABO-COUPON
Bitte schicken Sie mir die Pustertaler-Zeitung zu
Ich erhalte die Pustertaler-Zeitung mehrfach - bitte ändern: Anruf oder Mitteilung per E-Mail info@pz-media.it genügt!
Meine Anschrift hat sich geändert
Meine Anschrift:
Vor- und Nachname:
Straße und Nr.:
PLZ und Ort:
Ausschneiden & schicken, anrufen oder mailen:
Pustertaler Medien GmbH
39031 Bruneck - Oberragen, 18 • T. 0474 550830 F. 0474 410141 • info@pz-media.it • www.pz-media.it
Probleme mit der Zustellung?
Sie finden die Online-Version der Pustertaler-Zeitung auf unserer website:
(Südtirol)
Für das Italien-Abo und Auslands-Abo wenden Sie sich bitte an das Sekretariat unter Tel. 0474 550830 oder via E-Mail: info@pz-media.it
HOLZBÖDEN SCHLEIFEN
HOLZBÖDEN SCHLEIFEN
• lackieren • ölen • wachsen
• lackieren • ölen • wachsen
Bodenleger
Bodenleger
Fußboden - Fachbetrieb
Fußboden - Fachbetrieb
Fa. Priller Oskar - prilleroskar@gmail.com
Fa. Priller Oskar - prilleroskar@gmail.com
TEL. 348 2321852
TEL. 348 2321852
IMMOBILIEN
Mietsuche
Eine ortsansässige finanziell unabhängige Familie mit 2 Kindern sucht eine Mietwohnung im Raum Bruneck (Nähe Krankenhaus). Gerne Altbauwohnung mit Holzofen und Hobbyraum. Tel. 333 8020936
Ein nettes Pärchen, beide mit unbefristetem Arbeitsvertrag, Nichtraucher und ohne Haustiere suchen eine Wohnung im Raum Bruneck und Umgebung. Tel. 392 6075604
Alleinstehender ruhiger Mann sucht eine Wohnung in Sand in Taufers oder näheren Umgebung zu mieten.
Tel. 389 0609585
Mietangebote
Bruneck: neue sonnige 4-Zimmerwohnung am Alping mit Südbalkon, Garage und Keller an Ortsansässige, Nichtraucher und ohne Haustiere, längerfristig, ab April 2026 zu vermieten.
Anfragen nur schriftlich über WhatsApp Tel. 333 3890867
Bruneck: Sonnige neue Einzimmerwohnung vollmöbliert, Klimahaus A direkt in Bruneck an Ansässige zu vermieten.
Tel. 349 8621908
info@suedtirol-tueren.com www.suedtirol-tueren.com
Immobiliensuche

Sie möchten verkaufen?
Kontaktieren Sie uns unverbindlich für eine kostenlose Schätzung Ihrer Immobilie. Wir bieten Ihnen ehrliche, zuverlässige und transparente Beratung. Mair Immobilien - Tel. 340 4668669 www. mair-real.it
Immobilienangebot
Bruneck: 4-Zimmerwohnung mit angrenzender 1-Zimmerwohnung „E.Kl. F“ in schöner Wohngegend zu verkaufen. Tel. 349 8204433 –info@messner-immobilien.it
Bruneck: Produktionshalle/ Tischlerei/Magazin „E.Kl. F“ mit einer Fläche von 470,00 m² zu verkaufen oder zu vermieten. Tel. 349 8204433 –info@messner-immobilien.it
St. Georgen: Große 3-Zimmerwohnung, vollkommen möbliert mit Keller und Garage „E.Kl. E“ zu verkaufen. Tel. 349 8204433 – info@messner-immobilien.it
Bozen: Freistehendes Haus in unmittelbarer Stadtnähe in St. Magdalena „E.Kl. G“ zu verkaufen. Tel. 349 8204433 –info@messner-immobilien.it

VERKAUFEN: BRUNECK: 3-Zi-Mansardenwg , ruhige Lage, ca 78 m² netto, Wohnzimmer, Wohnküche, 1 Schl zi , Bad WC Keller sanierungsbedürftig E K G, 280 000 Euro komplett sanierte nicht konv 2- und 3 Zimmerwohnungen, zentrale Lage, 1 Stock - ideal als Geldanlage Konditorei/Bäckereibetrieb mit Bar in guter Lage, ca 75 m² , Lager ca 30 m² REISCHACH: 4-Zi Wg , saniert, zentrale Lage, 1 Stock, ca 85 m² Nettofl Wohnküche Wohnzimmer 2 Schl Zi , Bad, Balkon, Keller, Garage
ANTHOLZ-NIEDERTAL: neue
konventionierte 4-Zi-Wg mit Garten, Wohnraum/Kü 3 Schl Zi 2 Bäder Keller, Parkplatz, Kl A, 430 000 Euro
WIR VERMIETEN: BRUNECK: Gewerbeflächen, ca 250 m² sowie c 600 m² ideal als Showroom/Ausstellung/Lagerzwecke

Unsere Neubauprojekte ...

Ahornach |
NEURAUTH letzten 2 Wohneinheiten






IMMOBILIEN NIEDERKOFLER

MESNER in bester Wohnlage - 4-Zimmerwohnungen




Wir suchen/kaufen: Baugründe - Häuser - Wohnungen - Höfe - Landwirtschaftliche Gründe KOSTENLOSE ERSTBERATUNG!
Fabian Mair unter der Eggen +39 335 440891 fabian@immobil-niederkofler.it

GRÜNFELD Exklusive Penthousewohnungen






Dr. Lukas Pörnbacher +39 342 5116923 lukas@immobil-niederkofler.it

BACHER METALLBAU
Sand in Taufers - 0474 678313 bachermetallbau@gmail.com
AUTOMATIKTÜR HOTEL ALPI SEXTEN
Automatische Schiebe- und Falttüren Garagentore Türen Balkonverglasungen Alufenster Glasbau Windfänge Vordächer

Ihr Bodenschleifer
Schleifen, Ölen oder Lackieren von Holzböden sowie Grundreinigung von geölten Holzböden
Tel. +39 392 6711700 - Bruneck
E-Mail: boednschleiffn@gmail.com

Du renovierst, erweiterst oder Reparaturen sind erforderlich?
Fachgerechte Elektroinstallationen, Reparaturen und Wartungen Tel. +39 349/2909121 www.mnelektrikersuedtirol.com
BAUGRÜNDE UND KUBATUREN GESUCHT!
Direkte und PROVISIONSFREIE Verkaufsabwicklung mit dem Bauträger.
Wir freuen uns auf Ihre Kontaktaufnahme:
T +39 0474 64 66 49 - info@smartliving.bz smartliving.bz

AUR1596: In Mühlen in Taufers wartet Ihr neues Lieblingszuhause: sonnig, ruhig und mit ganz viel Charakter! Diese stilvoll möblierte Vierzimmerwohnung über zwei Ebenen verbindet Tiroler Gemütlichkeit mit modernem Flair – inklusive vier Balkonen und Tiroler Ofen. Nur drei Wohneinheiten, dafür ganz viel Persönlichkeit. Energieklasse F = 113,32 kWh/m²a

VERANSTALTUNGEN UND KURSE
T. 0474 550 830 • info@pz-media.it • Rubrik: Veranstaltungen ohne Gewähr
Bruneck / Reischach
Sommer-Bauernmarkt
Noch am Freitag 24. und 31.10. von 8.00-12.30 Uhr auf dem Graben
Winter-Bauernmarkt
Ab Freitag 07.11.2025 von 08.00-12.30 Uhr auf dem Rathausplatz
Wochenmarkt
Jeden Mittwoch von 8.00 bis 14.00 Uhr auf dem Rathausplatz
Oberstadtla Markt
Am Mittwoch 22.10. und Mittwoch 29.10. 2025 des Monat von 8.00 bis 18.00 Uhr in der Oberstadt
Flohmarkt
Am Samstag 25.10.2025 von 9.00-17.00 Uhr im Nobis Bruneck
20 Jahre VOLXROCK
Am Samstag 25.10.2025 ab 14.00 Uhr auf dem Tschurtschenthaler Platz
Disco on Ice - Arena Bruneck
Am Freitag, 31.10.2025 von 19.30 - 22.00 Uhr in der Intercable Arena
Stegen
Stegener Markt
Am Sonntag, 26.10. bis Dienstag, 28.10.2025 jeweils von 8.00 -17.00 Uhr auf dem Stegener Marktplatz
Dietenheim
Vortrag: Feuer oder Erde? - Ein Vergleich der Bestattungsarten
Am Montag, 03.11.2025 ab 19.30 Uhr in der Fachschule für Land- und Hauswirtschaft und Ernährung Dietenheim
Vintl
Vortrag: Smart bis zum Sarg
Am Freitag 24.10.2025, am 19.30 Uhr im Gemeindesaal in Niedervintl.
LÖSUNGEN: SUDOKU &
Terenten
Bauernmarkt in Terenten
Am Sonntag, 26.10.2025 von 10.00 - 16.00 Uhr auf dem Dorfplatz
Terner Machart
Am Sonntag, 26.10.2025 von 9.30 - 16.00 Uhr im Dorfzentrum und im Vereinshaus
St. Lorenzen
Erntedankmarkt
Am Samstag 25.10.2025 von 9.00 - 15.00 Uhr im Zentrum
Sand in Taufers
Vortrag: Klimawandel, Pandemien, Krankheiten - Unser Essverhalten und seine Folgen
Am Donnerstag 06.11.2025, um 19.30 Uhr am Pfarrheim
Ahrntal
„Usche“ - Kirchtag in Prettau
Am Samstag 25.10. ab 14.00
Uhr und Sonntag 26.10.2025 ab 12.00 Uhr im beheiztes Festzelt
Rasen/Antholz
Vortrag: Mit Wild- und Gartenpflanzen restlos kochen
Am Donnerstag 23.10.2025, 19.00 Uhr in der Bibliothek Niederrasen.
Prags
Pragser Kirchtag
Am Samstag 25.10. ab 14.00
Uhr und Sonntag 26.10.2025 ab 9.00 Uhr im Haus der Vereine und Festplatz
Niederdorf
Vortrag: KI-Einblicke: Wie KI das Leben im Alltag verändert
Am Mittwoch 29.10.2025 am 19.30 Uhr im Sitzungssaal im Rathaus.
Toblach
Wochenmarkt in Toblach
An den Montagen 6. und 17.11 von 8.00 - 14.00 Uhr im Dorfzentrum
Sexten
Allerheiligen Konzert
Am Samstag 1.11.2025 um 19.30 Uhr in der Pfarrkirche Sexten
25 J. Lanzinger Harmonika
Am Sonntag 26.10.2025 ab 11.30Uhr im Haus Sexten
WEITERBILDUNGSKURSE am Berufsbildungszentrum Bruneck
• Schweißen Grundkurs Wann? 03. – 25.11.25
• Segmentmassage Grundkurs Wann? 08./09.11.25
• Drechseln in Längs- und Querholz Wann? 08.-29.11.25
• Sicherheitskurs für Arbeitnehmer (niedriges, mittleres und hohes Risiko) Wann? 10./11.11.25
• Auffrischungskurs für Vorgesetzte Wann? 14.11.25
• Freihandzeichnen für Handwerker, Techniker und Interessierte Wann? 14./15.11.25
• Geschenkverpackungen für Herbst und Weihnachten Wann? 21.11.225
• Reflexzonen am Ohr Wann? 29.11.25
ANMELDUNGEN:

Tel. 0474 57 34 11, Fax 0474 57 34 99 www.weiterbildung-bruneck.org


Ungarische Zahnklinik mit Assistenz in Südtirol
Bruneck | Tel. 378 083 2750
TURNUSAPOTHEKEN

Der Dienstwechsel der Apotheken findet jeweils am Freitag um 19 Uhr statt. Die unten angegebenen Öffnungszeiten beziehen sich auf Werktage. Am Sonntag gelten folgende Öffnungszeiten: 9 - 12 Uhr und 16 - 19 Uhr.
Der Notdienst gilt außerhalb der Öffnungszeiten für dringende Fälle und erfordert die Vorlage eines ärztlichen Rezeptes.
24. - 31. 10. 2025
Apotheke Kron - Reischach Öffnungszeiten 08:30 - 12:30 / 15:00 - 19:00 Uhr
Tel. Erreichbarkeit: 00:0023:59 Uhr, Tel. 0474 548440
Apotheke Ahrntal - Luttach Öffnungszeiten 08:10 - 12:30 / 15:00 - 18:00 Uhr
Tele. Erreichbarkeit: 00:0018:59 Uhr, Tel. 0474 671086
Apotheke PütiaSt. Martin in Thurn, Öffnungszeiten: 08:00 - 12:00 / 15:00 - 19:00 Uhr
Tel. Erreichbarkeit: 00:0023:59 Uhr, Tel. 0474 523020 31. 10. -
Apotheke v. ZieglauerBruneck Öffnungszeiten 08:30 - 12:30 / 15:00 - 19:00 Uhr
Tel. Erreichbarkeit: 00:0023:59 Uhr, Tel. 0474 555358
Apotheke Karbacher - St. Vigil Öffnungszeiten 08:15 - 12:15 / 15:30 - 18:30 Uhr
Tel. Erreichbarkeit: 00:0023:59 Uhr, Tel. 0474 501240
Apotheke Kiens - Kiens Öffnungszeiten 08:00 - 12:00 / 16:00 - 18:00 Uhr
Tel. Erreichbarkeit: 00:00 - 23:59 Uhr, Tel. 0474 564077
www.provinz.bz.it/gesundheit-leben/ gesundheit/turnusapotheken.asp Zahnklinik
Kleiderkammer
Bruneck
Offener Kleiderschrankdie Kleiderkammer im Gedi Center: Öffnungszeiten: Mittwoch von 14.00 – 17.00 Uhr, Donnerstag von 9.00 – 11.00 Uhr und jeden letzten Samstag im Monat von 9.30 – 17.00 Uhr
Kleiderkammer vom Vinzenzverein Bruneck Öffnungszeiten: jeden 1. und 3. Donnerstag im Monat von 14.30 bis 16.30 Uhr in der Mühlgasse 2
Toblach
Kleiderkammer der Vinzenzvereinigung Toblach Öffnungszeiten: jeden 1. und 2. Samstag im Monat von 9:00 bis 11:00 Uhr und jeden 3. Dienstag von 15:00 bis 17:00 Uhr im Bahnhofsgebäude von Toblach.
Recyclinghof
Gemeinde Bruneck
Öffnungszeiten:
Dienstag u. Donnerstag:
07.15 - 12.15 Uhr & 13.4517.30 Uhr, Mittwoch u. Samstag: 07.15 - 12.15 Uhr
Selbsthilfegruppen
Bruneck
Parkinson Selbsthilfegruppe
Pustertal:
> Bewegung mit Musik in der Gruppe (Musiktherapie)
Die nächsten Treffen: Am Mittwoch 29.10. & 05.11.2025 von 10-11 Uhr mit Annemarie im „Haus der Vereine“ (Ex-Bocciahalle).
> Dance Wall
Das nächste Treffen: Am Freitag: 14.11.2025 von 10-11 Uhr im „Haus der Vereine“ (Ex-Bocciahalle).
Nähere Auskünfte unter: Tel. 0474 410832 oder Tel. 328 1473035
LÖSUNGEN: KINDERRÄTSEL
Selbsthilfegruppe bei Depression & Angststörungen
Bruneck: Montag, 17.00 Uhr 14-tägliche Treffen.
Wichtig: Anmeldung beim Verein LICHTUNG; Tel: 333 4686220 oder info@lichtung-girasole.com Teilnahme nur möglich nach Erstgespräch mit der Gruppenleiterin. Angehörige & Freunde von Alkoholikern
Kontakt Südtirol: 0474 944 469 Treffen: Bruneck (Seeböckhaus) am Dienstag, 15.00 Uhr und Brixen (Domgasse 2) jeden 2. + 4. Montag im Monat, 15.00 Uhr
Lebenshilfe
Südtiroler Krebshilfe
WIR SIND FÜR SIE DA!
Kapuzinerplatz 9 – 39031
Bruneck, Tel. 0474 551327 Montag: 13.00 – 17.00 Uhr, Dienstag, Mittwoch und Donnerstag: 8.30 – 12.00 Uhr
Gustav-Mahler-Straße 3b –39034 Toblach, Tel. 3351211392, Montag bis Mittwoch von 9.00 – 11.00 Uhr, Donnerstag von 9.00 – 11.00 Uhr und von 16.00 – 18.00 Uhr
Verein Frauen helfen Frauen
Paul-von-Sternbach-Str. 6, I-39031 - Bruneck (BZ) , Tel. 0474 410 303, info@frauenhelfenfrauenbruneck.it www.frauenhelfenfrauenbruneck.it Öffnungszeiten: Montag - Freitag: 8.30 - 11.30 Uhr, Mittwoch: 15.00 - 17.00 Uhr oder nach Vereinbarung
Anonyme Alkoholiker
ALKOHOLPROBLEME?
Es gibt eine Lösung. Nehmen Sie mit uns Kontakt auf! Tel. +39 334 8314515 sotirol@anonyme-alkoholiker.at www.anonyme-alkoholiker.at

KIENS - ST.SIGMUND Zweizimmerwohnung mit Balkon

KIENS - EHRENBURG Dreizimmerwohnung mit Terrasse und Garten




ANTHOLZ NIEDERTAL Baugrundstück in sehr guter Lage
E. K. A-Nature
E. K. A-Nature


Wir zeigen dir deine Badplanung im Maßstab 1:1. Exklusiv in der Sanikal Badausstellung Brixen.