The Probe November 2025

Page 1


Turning off and simple is as instant sensitivity pain as a flick of a switch

Turning off and simple is as instant sensitivity pain as a flick of a switch

100% of patients experienced instant2 & long-lasting pain relief3 1.5X more in vitro tubule occlusion vs competitive technology1

Recommend Colgate® SENSITIVE INSTANT RELIEF

References: 1. PRO-ARGIN® technology vs stannous fluoride/sodium fluoride technology, in vitro study, confocal images after 5 treatments. Liu Y, et al. J Dent Res. 2022;101(Spec Iss B):80. 2. For instant relief, apply directly to the sensitive tooth with fingertip and gently massage for 1 minute. Supported by a subanalysis of Nathoo S, et al 2009. Data show that 42 subjects out of 42 (100% or 10 out of 10) experienced immediate sensitivity relief on both tactile and air blast measures after a single direct topical self-application using the fingertip and massaging. Subanalysis of Nathoo S, et al 2009 (CRO-2009-01-SEN-IARG2-ED; Nathoo S, et al. J Clin Dent. 2009;20(4):123-30). 3. With 4 weeks of continued use. Supported by a subanalysis of Docimo R, et al 2009. At 4 weeks, 40 out of 40 subjects (100%, 10 out of 10) achieved lasting sensitivity relief on both tactile and air blast measures. Subanalysis of Docimo R, et al. J Clin Dent. 2009;20(1): 17-22.

MPs and Denplan urge greater focus on prevention and workforce collaboration as Dentaid holds BrightBites workshop in Parliament

Empowering the whole dental workforce and embedding prevention at the heart of dentistry are essential to tackling the nation’s oral health crisis, Parliamentarians and industry leaders have said. The calls were made during a Parliamentary event hosted by Denplan, part of Simplyhealth, attended by MPs from across the political spectrum, alongside policymakers, professional bodies, and dental professionals. Delegates agreed that prevention must be the cornerstone of future dental policy, supported by crosssector collaboration and a resilient, wellsupported workforce.

The event, which discussed the future of dentistry and how to unlock preventionfocused care, improve patient access, and ensure delivery is sustainable in the long term, involved an interactive session followed by a reception. During the interactive BrightBites oral health education session, children from Cordwalles school in Camberley, Surrey, learned about toothbrushing, teeth names and functions, sugar awareness, and the importance of regular dental appointments. Since 2023 Denplan and Dentaid The Dental Charity, have collaborated on the BrightBites programme, delivering in-person education sessions to schools, nurseries, and clubs for low-income families, providing a range of resources including

toothpaste and toothbrushes for every child, toothbrushing charts, stickers, and healthy teeth leaflets, to educate and inform children about oral health. BrightBites has now reached 160,000 children in schools and community settings across the country, with a goal to reach 500,000 by 2028. The programme exemplifies how early education can drive long-term improvements in oral health across the population.

Delegates called for:

• Making dental care fairer across the country – utilising dental expertise to make sure funding meets local needs and tackles regional inequalities.

• Supporting all dental professionals –building a system that works for dentists, enabling mixed NHS and private practices and championing the vital role of the wider dental team, including dental nurses and hygienists.

• Focusing on prevention as well as treatment – we want everyone to have access to regular check-ups and advice – not just emergency care – limiting problems before they get worse and sustaining NHS capacity for those who need them most.

• Putting oral health on equal footing –your mouth matters. We’re making sure oral health is treated as seriously as physical and mental health.

Simon Opher MP, Chair of the All-Party Parliamentary Group for Health, said: “The APPG on Health has heard firsthand the need to look at how the dental landscape can be strengthened for the future. Too many people across the country are unable to access care, and an overstretched dental workforce lacks the comprehensive support it needs. Without the urgent action, discussed at Denplan’s parliamentary reception, we cannot address immediate challenges or ensure we are set up for longer term success.

“As policymakers, it is more important than ever that we listen to all voices across the sector to understand how we can work together to deliver a sustainable future for dentistry.”

Helen Morgan MP, Liberal Democrat Spokesperson for Health and Social Care,

said: “As a critical area of health, improving dental care is a key priority for the Liberal Democrats. More must be done not just to address access barriers, but to ensure that we work to improve oral health more broadly across the UK.

“As part of this, it is fantastic to see positive oral health education initiatives such as BrightBites which show how engaging and educating children about oral health from an early age can make prevention a reality rather than an aspiration. This is the kind of work that can help reduce inequalities and improve access in the long term.

“I look forward to continuing to work with Denplan and others across the sector to take forward the learnings from today – with the aim of moving towards a society where dental care works for all.”

Dr Matthew Nolan, Head Dental Officer at Denplan, said: “Preventable dental disease is costing the NHS millions each year and causing avoidable pain and disruption for children and families. We desperately need change to make prevention the priority, enabling closer collaboration across sectors to ensure oral health is fully recognised as a crucial part of overall health and wellbeing. We are committed to continuing to work with industry stakeholders, parliamentarians and the government to secure future of dentistry.” ■

General Dental Council announces Annual Retention Fee for 2026

The General Dental Council (GDC) has confirmed that the Annual Retention Fee (ARF) for 2026 will be £698 for dentists and £108 for dental care professionals (DCPs).

The Council has agreed the Corporate Strategy 2026-2028, their strategic priorities and the funding required to deliver them.

The GDC received and has considered welcome feedback from dental

professionals and stakeholders from its 12-week public consultation on the strategy over the summer.

The regulator has listened to feedback within the profession and the need for modernisation and reform. Council has considered the funding required to continue to modernise and improve efficiency.

The GDC has committed to deliver an additional 7% efficiency savings over the next five years, including savings from

modernising registration processes and more effective use of estates.

Tom Whiting, Chief Executive and Registrar of the GDC, said: “Our vision is to be a trusted and effective regulator, supporting dental professionals to provide safe and effective care for their patients. We have a clear delivery plan to achieve our strategic ambitions and remain committed to protecting the public and maintaining public confidence in the dental professions.”

The GDC will adjust the ARF as needed from 2027 onwards. Other than in exceptional circumstances, any increase will not exceed the rate of the Consumer Price Index (CPI).

Dr Helen Phillips, Chair of the GDC, said: “Over the next few years, I am committed to nurturing relationships built on trust and support. Council’s priority is public protection by working with and through dental professionals.” ■

Lianne Scott-Munden, Clinical Services Lead and Paul Schreier CEO of Simplyhealth and Denplan
Photo: Matt Crossick, PA Media Assignments

A welcome from the editor

It’s November and you know what that means: it’s Mouth Cancer Action Month! With approximately 30 people per day diagnosed with Mouth Cancer in the UK, there is still so much to do to help

prevention as well as spotting the warning signs. On page 55, the Oral Health Foundation’s Rachael England reflects on the scale of the disease and the role that dental care professionals play in prevention, early detection, and advocacy. That’s not the only important issue highlighted in this… issue . October was Domestic Abuse Awareness Month and, on page 32, Pam Swain of BADN discusses the work that the association for dental nurses has done with Rise for Change, to train its staff in dealing with calls from members seeking help. Current BADN President Preetee Hylton is a survivor of domestic abuse and the association has made a domestic abuse policy available for all dental practices to download to help colleagues recognise the signs of domestic abuse in team members and patients. As always, there’s plenty to sink your teeth into this month, so I’ll allow you to get to it. Only one more issue to go before 2025 draws to a close…

The Probe is published by Purple Media Solutions.

Registered in England.

Registered number 5949065

Managing Editor: James Cooke

Commercial Director: Gary Henson

Divisional Administrator: Francesca Smith

Production Designer 1 : Lorna Reekie

Production Designer 2: Rob Tremain

Digital Content Manager: Stephen Wadey

Circulation Manager: Andy Kirk

Managing Director: Ed Hunt

Regular Contributors: Lisa Bainham, Nigel Carter, Barry Cockcroft, Ollie Jupes and Pam Swain

E-mail news, stories or opinion to james.cooke@purplems.com

Circulation/Subscriptions: The Probe Subscriptions, Perception SaS, PO Box 304, Uckfield, East Sussex, TN22 9EZ, Tel: 01825 701520, https://purplems.my-subs.co.uk ©Purple

Media Solutions Ltd, 2014. All rights reserved. ISSN 0032-9185. The publisher’s written consent must be obtained before any part of this publication may be reproduced in any form whatsoever, including photocopies, and information retrieval systems. While every effort has been made to ensure that the information in this publication is correct and accurate, the publisher cannot accept

liability for any consequential loss or damage, however caused, arising as a result of using information printed in this magazine. The views expressed in The Probe are not necessarily the views of the magazine, nor of Purple Media Solutions

Editorial Advisory Board: Dr Barry Oulton, B.Ch.D. DPDS MNLP; Dr Graham Barnby, BDS, DGDP RCS; Dr Ewa Rozwadowska, BDS; Dr Yogi Savania BChD, MFGDP; Dr Ashok Sethi, BDS, DGDP (UK), MGDS RCS; Dr Paroo Mistry BDS MFDS MSc MOrth FDS (orth); Dr Tim Sunnucks, BDS DRDP; Dr Jason Burns, BDS, LDS, DGDP (UK), DFO, MSc; Prof Phillip Dowell, BDS, MScD, DGDP RCS, FICD; Dr Nigel Taylor MDSc, BDS, FDS RCS(Eng), M’Orth RCS(Eng), D’Orth RCS(Eng); Mark Wright BDS(Lon), DGDP RCS(UK), Dip Imp Dent.RCS (Eng) Adv. Cert, FICD; Dr Yasminder Virdee BDS.

Tracy Webb Regional Support Manager Practice Plan
Dr Max Pura Principal Pura Dental Care
Dr Kate Walker Associate Dentist Sandal Dental Care
Dr Gina Vega Principal Dentist Bishopsgate Dental Care
Emily Banks Lecturer in Dental Therapy Cardiff University
Dr Rachael England Head of Policy and Advocacy Oral Health Foundation
Sara Hurley Former Chief Dental Officer, England
Pam Swain MBE Chief Executive BADN

Oral health is health

Five shifts NHS dentistry must now embrace

Inspired by a recent podcast with NHS Confederation CEO Matthew Taylor, Sara Hurley sets out the five changes needed to move dentistry from crisis management to sustainable, prevention-first care

When I joined Matthew Taylor, Chief Executive of the NHS Confederation, for The Probe ’s podcast conversation, I was struck by the clarity with which he described both the challenge and the opportunity for dentistry. His framing was honest, timely, and, for me, deeply resonant.

Not because he claimed to have solved NHS dentistry in one neat package, but because he articulated the very shifts that I, and many others in the profession, have long argued are essential. Listening to Matthew reminded me that it is not the messenger that matters, but the message. Yet it is encouraging when ideas once spoken echo back from new and influential advocates.

That conversation affirmed that if we are to move dentistry from crisis management to a sustainable, prevention-first service, we must embrace five key shifts.

From isolation to integration

Dentistry cannot and must not remain a silo. For decades, oral health has been treated as peripheral – a service called upon when things go wrong, but too often absent from the mainstream of NHS planning.

The future lies in embedding dentistry within Integrated Care Systems (ICSs), making oral health part of population health strategy. This is not semantics. It is a fundamental change in perspective. Once oral health is seen as a driver of equity, wellbeing, and productivity, dentistry becomes indispensable to systemwide planning.

Integration is how we align resources, share responsibility, and unlock prevention at scale. Without it, dentistry will continue to feel like an optional add-on.

From reaction to prevention

The NHS has too often dealt with dentistry in reactive mode – patching crises, firefighting access, and funding interventions once disease has already taken hold. This is unsustainable.

The real prize lies upstream: in prevention, risk-based recall, and minimally invasive dentistry. Prevention is not just a clinical choice; it is a financial necessity. Every pound invested in prevention reduces the burden of costly restorative and emergency care later.

For the profession, this means reframing our own sense of value. We must be paid not only for “doing” but for preventing, stabilising, and sustaining oral health. For patients, prevention means better outcomes, less pain, and fairer access to care that protects rather than merely repairs.

From patches to reform

NHS dentistry has endured too many “quick fixes” – tweaks to UDAs, shortterm access schemes, or bursts of funding that do not last. They may buy political breathing space but do little to secure sustainability.

What is needed is structural reform: contracts and incentives that reward prevention and continuity, workforce models that optimise full professional scope, and funding mechanisms that prioritise outcomes over activity.

This reform requires courage –from policymakers, commissioners, and professional leaders. It means challenging assumptions and pushing past the inertia of incrementalism. Without it, we will remain stuck in a cycle of patches and disillusion.

From fragmentation to collaboration

Dentistry’s future cannot be built in isolation. Real progress depends on shared endeavour across dental professionals, commissioners, ICS leaders, patients, and public health colleagues.

Collaboration means recognising that oral health is part of a wider picture – linked to nutrition, education, chronic disease management, and the social determinants of health. It also means valuing the full dental team: hygienists, therapists, dental nurses, and community based practitioners. True collaboration cannot be imposed from the centre. It depends on trust, transparency, and a culture of co-production. When we achieve that, dentistry can lead the way in delivering truly integrated, preventive care.

From optional extra to core health

Perhaps the most fundamental shift of all is how dentistry is perceived. Oral health is too often regarded

From silo to system: five key shifts every dental professional should know

Reflections on the podcast conversation with NHS Confederation CEO Matthew Taylor

1. Integration

From dentistry in isolation → oral health as part of ICS population health.

2. Prevention

From reactive crisis care → proactive, prevention-first care.

3. Reform

From short-term fixes → structural change that rewards continuity and outcomes.

4. Collaboration

From fragmented roles → shared endeavour across teams, patients, and systems.

5. Core Health

From optional extra → recognising that oral health is health.

https://tinyurl.com/SaraHurleyMatthewTaylor

as an optional extra, distinct from “real” health. That framing has done untold damage.

The reality is simple: oral health is health. Poor oral health undermines nutrition, speech, employability, confidence, and overall wellbeing. It is linked to systemic conditions from diabetes to cardiovascular disease. To neglect oral health is to undermine the very goals the NHS exists to pursue.

If dentistry is treated as core to health, it can no longer be sidelined when resources are stretched. It becomes part of the national health conversation, and patients receive the care they deserve.

A call to action

These five shifts are not abstract theory. They are practical, achievable, and urgent. The current climate offers a “window of possibility,” as Matthew Taylor described. Political attention is high. Public concern is growing. ICSs are seeking solutions.

For the profession, the question is whether we will step forward to lead, to advocate, and to insist on a better future. It is tempting, amid daily pressures, to be cynical. Yet now is the time to use our voice and expertise to shape reform.

When I served as Chief Dental Officer for England, I argued for

precisely these shifts. I championed prevention-first dental care, riskbased recall, and contracts that rewarded health rather than activity. I pressed for workforce investment and for oral health to be seen as integral to system-level planning. Hearing these arguments echoed today by influential system leaders is evidence that the ideas have taken root. That, for me, is the true source of optimism: the message is alive, and new advocates are carrying it forward with conviction.

Dentistry is not an optional extra –oral health is health. If we have the courage to act on these five shifts, we can build a service that delivers not only for patients, but also for the professionals who serve them and for the NHS as a whole. 

About the author

Sara Hurley is the former Chief Dental Officer for England. She currently chairs the University of Suffolk Dental Community Interest Company and is Programme Director for the Global Oral Health Leadership Programme at the International College of Dentists.

YOUR TRUSTED EXPERTS IN DENTAL PRACTICE SALES

Christie & Co has observed strong demand from both independent buyers and a renewed wave of corporate interest, resulting in a highly competitive market for practice owners considering a sale.

To maximise value and secure the best possible price and terms, it is essential that sellers engage a reputable agent who can effectively explore all market opportunities.

• Brought over 170 practices to market

• Arranged over 470 viewings - a 19% increase on prior year

• Received in excess of 240 offers

• Had offers accepted on 124 practices - a 51% uplift on prior year SO FAR IN 2025 THE

It is vital that sellers seek trusted and professional advice when considering the sale of their practice.

THINKING

• Advised on, agreed or sold 720 practices with a combined value of £925m

All that glitters

Many years ago, long before Wes Streeting was invented, I was a dental student.

In those days, access to NHS dentistry was much better than it is now, despite being overseen by Margaret Thatcher via Norman Fowler, and despite the fact that in 1986, a feeper-item system had been introduced by the Thatcher-led Tory Government, which led a lot of dentists to think about leaving the NHS.

One chilly February day in 1987, what remained of the 50 original 1982 BDS student intake at my dental school (I estimate only about 41 of us survived to the final year – two of them I reckon were abducted and subsequently eaten by restorative lecturers), were corralled into Lecture Hall One to listen to a lecture from a visiting medico-legal representative from one of the two main dental indemnity organisations that operated in England back then. I’m not going to say which organisation he represented but if my maths is correct, you’ve got a 50% percent chance of guessing his organisation correctly.

The lecturer was a highly entertaining chap who enthralled us with amusing tales of the frankly idiotic and bizarre things dentists had done to bring themselves to the attention of the General Dental Council. Not one of us back then thought that there would be ANY way that any of us would ever come to the attention of the GDC. THEY were simpler times. WE were SO naïve.

The story that stood head and shoulders above the rest of the medicolegal chap’s repertoire, though, was a tale that would chill the blood of the most stoic of practitioners. To the best of my ability, I shall impart the details of this odyssey now.

One day, a very well dressed and smart gentleman turned up at a swish London private dental practice asking for a consultation with a dentist. The man was given an appointment after a short wait and was seen by the practice principal, who restricted his practice to complex restorative cases. The potential patient apparently twirled a Rolls-Royce key fob between his fingers all throughout his visit and, at one point, glimpsed out the first storey

window to check that his car was ok as well as drawing the attention of dental staff to his vehicle. Sure enough, the dentist clocked that there was a Roller parked up down below with no clamps or traffic warden stickers slapped on it.

On examination, the dentist (who later admitted that he assumed his patient was a markedly rich businessman) discovered that the exceptionally pleasant, articulate and obviously erudite patient had wallto-wall temporary crowns in situ in both upper and lower jaws. The patient was, in effect, a full restorative reconstruction case.

I must confess that I can’t remember how the patient explained to the dentist his reasons for not returning to the practitioner that had placed the temporary crowns, but the new dentist accepted the explanation and appointments were made to remove the temporary crowns, take impressions and re-prep if necessary.

In due course, the patient returned in another expensive suit and again parked his Rolls-Royce opposite the surgery. Once again, there was a lot of key fob twirling. A few of the existing crown preps were modified, new impressions were taken and temporary crowns were placed. Because the patient had presented a formidable façade of trustworthiness and wealth, the dentist had felt embarrassed asking for a deposit and so the patient was booked in for crown fits a couple of weeks later with no money having been exchanged.

The patient didn’t turn up for his fit appointment and attempts to contact him failed. Advisors at the indemnity organisation involved were later made aware of identical instances, where a similar individual had performed the same trick on practitioners – leaving a number of dentists in debt to their laboratories, totalling many thousands of pounds. They had all fallen for his money-no-object air and hadn’t asked for deposits either.

The mystery man was never found and the motivation for his very odd behaviour could never be worked out.

Examination of the radiographs taken by each practitioner showed that after

each dentist was duped, the tooth substance possessed by the patient decreased incrementally with each visit to a new dentist. The lecturer could only guess that maybe the patient had something against dentists and was trying to wreak revenge on the profession or that he frankly enjoyed dental pain – the patient had apparently refused local anaesthetic for any of the work carried out.

Now, I think the lesson we can all take from that tale is that “All that glitters is not gold” and the reason it all sprang to mind was a conversation I had recently with an NHS practitioner I know, who has reluctantly come to the conclusion that she has no real alternative but to leave the NHS dental service in order to remain (a) viable and (b) sane, but also concluded that such a move is frankly impossible.

The dentist explained that she had been thinking of going private since shortly after the Covid pandemic but couldn’t bring herself to take the final leap into solvency on the simple grounds that her surgery premises ‘look too NHS’ and ‘won’t be acceptable to private patients.’ She explained that to bring her ‘shabby’ premises and equipment up to the standard that she felt that private patients should expect would be completely unaffordable. As a result, she felt that she couldn’t even conceive of going private despite also feeling that the end of her practice was nigh since she was accumulating so much debt as a consequence of staying in the NHS.

At the time I spoke to her she thought that bankruptcy was pretty much inevitable.

I know of the dentist’s reputation – she’s revered by her patients and is lauded by colleagues – but, in the brief encounter I had with her, I was unable to convince her that although she would almost inevitably lose some patients as a result of going private or converting to a capitation plan, because she’s such a good, caring dentist with an exceptional reputation, she would retain most of her patient base. The look of her practice, I pointed out, was irrelevant. It was her care that was paramount. She wasn’t having it.

I remember sometime in the 2000s, after the “new” contract came in, being driven to the same conclusion as this particular dentist, but being reluctant for different reasons – namely not feeling that I was up to being a private dentist. I was somehow haunted with the notion that to switch to a capitation scheme meant that you suddenly had to be the calibre of dentist that is often up for national dental awards in excellence – despite the fact that most of the private dentists I know would (and probably will) laugh in my face for thinking that.

I ALSO had a pretty shabby practice, despite painting my practice pink. When I was an associate in the early 90s I got permission to decorate my surgery from my boss when he went on holiday. On his return, upon seeing the pink walls and decorative borders I had placed, he stormed out, shouting: ‘It looks like a tart’s boudoir!’ It was only after attending an NLP course run by Paul McKenna and Michael Breen in the 2000s and being hypnotised by some attendees who somehow convinced me while I was in trance that I WAS worth being a private practitioner, that I partially converted to a capitation scheme, which went some way to staving off financial ruin. I still kept the majority of my patients on the NHS.

I know of a few dentists who are still in a quandary over their positions in the dental world with regard to their future viability and, although I don’t know all their reasons not to take the plunge into financial salvation, I suspect it’s often a lack of confidence in their abilities or that they feel they should invest in re-equipping before taking the plunge.

Remember: All that glitters is not gold. Patients know that too. n

About the author ollie Jupes is the pseudonym of a former nHs dentist. He monitors dentistry on twitter X as @DentistGoneBadd

Urgent dental care incentives won’t fix a contract that’s broken

With NHS England launching urgent dental care incentives, polly Bhambra explores what this might mean for NHS dentistry

Last month’s launch of NHS England’s Urgent Dental Care Incentive Scheme has generated plenty of headlines – and questions.

In short: practices that push urgent activity significantly above their historic baseline can earn £25-£50 per urgent course of treatment, on top of the usual 1.2 UDA credit.

The scheme is time-limited, running from 25 September 2025 to 31 March 2026, and only pays out once providers exceed 117.5% of baseline urgent delivery (with the top rate from 125%).

It’s an attempt to unlock extra capacity quickly in places where pain is piling up.

As a practice principal, I welcome any effort that helps patients in pain get seen sooner.

But as someone who began her career as a dental nurse and now employs a multi-disciplinary team across NHS and private lists, I must be honest: tactical tweaks won’t undo years of underfunding or repair a contract that no longer fits modern care.

The incentives may create a short, local sugar-rush in urgent appointments; they won’t rebuild routine access or workforce confidence.

what the incentive tries to fix

The context is a system leaning increasingly on urgent care.

In February 2025, ministers trumpeted 700,000 additional urgent appointments for the year – a recognition that too many people are stuck between neglect and emergency.

In July, the government opened a consultation on wider contract changes, acknowledging perverse incentives that make high-needs patients financially unattractive under UDAs.

These steps accept the core problem: the contract pays poorly for complexity and does little to reward prevention.

The reality on the ground is captured in images we’ve all seen: hundreds queueing outside a single practice for hours the moment new NHS places open up.

That happened again last month in Bristol, when a practice recruited extra clinicians and briefly accepted new patients. People arrived in the dark with flasks and folding chairs, just for the chance to register.

Those scenes aren’t outliers; they’re a visual audit of demand outstripping supply.

why small levers won’t deliver big change

1) Activity without reform is a treadmill.

Paying more for urgent slots – only after hitting steep thresholds – risks shifting capacity away from continuity and prevention. It encourages practices

to sprint for a few months, then drop back when the bonus ends. Meanwhile, the structural issues that make comprehensive NHS care unviable for many providers remain untouched.

The Public Accounts Committee (PAC) has already said bluntly that “there is no future for NHS dentistry without reform,” and labelled recent efforts a “complete failure” at improving access. That’s not a call for more add-ons; it’s a call for a different contract. (UK Parliament Committees 1) 2) the money doesn’t follow complexity. Under UDAs, a single urgent course can mask wildly different clinical effort. Without weighting for complexity, providers are still penalised for tackling the toughest mouths.

We’ve seen this movie: previous incentives chased activity but didn’t sustainably improve access. The PAC’s analysis suggests these short-term schemes don’t deliver the promised volume and may even distort behaviour. (UK Parliament Committees 2) 3) p atients need a front door, not a fire escape.

The queues outside practices tell us that urgent pathways can’t substitute for routine recall and prevention. If people can only get seen when in agony, the system is already failing.

Tactical tweaks won’t undo years of underfunding or repair a contract that no longer fits modern care

what would meaningful change look like?

We don’t have to guess. A workable model for NHS dentistry in 2026 and beyond would blend fair payment for complexity, guaranteed prevention and transparent access.

Replace blunt UDAs with a blended contract. Pay for three things:

• Access & continuity (a per-capita element tied to timely recall and health promotion)

• Complexity-weighted activity (feefor-item or weighted bundles that reflect clinical effort)

• Quality & prevention (outcomes/process measures: fluoride varnish rates, perio stability, child decay experience, oralcancer screening coverage).

The government’s own consultation acknowledges the current contract makes complex care uneconomic; the remedy is to price complexity properly, not to bolt on episodic bonuses. Make prevention non-negotiable. Ring-fence time and funding for hygiene, periodontal support and childfocused prevention.

Every high-need area should have commissioned prevention targets, not just urgent throughput.

s et up local “Access Hubs” that do more than triage.

Integrated Care Boards should commission hubs with extended hours to absorb urgent demand and convert patients to recall within local practices.

This is where the new incentive energy could live long-term.

p ut data in the sunlight.

Publish monthly access dashboards by ICB, such as:

• Urgent volumes

• Routine wait time

• Child participation

• Conversion from urgent to registered recall

The BDA has pushed for better data collection, and you can’t manage what you can’t see.

Fix the workforce pipeline and retention. Training places up by 2031 is welcome, but it doesn’t help this winter.

Focus on retention (family-friendly rotas; funded CPD ladders for nurses and therapists; swift return-to-work support) and remove the bottlenecks that keep qualified clinicians out of the system.

If you want urgent access tomorrow, you need teams who believe NHS lists are viable today.

the cost of tinkering while queues lengthen

We should be honest about the human cost. Investigative pieces this year have documented people pulling their own teeth or queueing through the night because routine NHS access is gone in their area.

The Financial Times has shown millions in dental budget returned unspent due to a target-driven system that providers simply can’t meet under today’s terms. Meanwhile

The Guardian is reporting, and others have tracked, the drift of clinicians out of NHS work because fees can’t cover the cost of care.

People aren’t giving up on dentistry; dentistry is being priced out of delivering NHS care. (Financial Times3)

Will the urgent incentive help some patients in pain get seen faster between now and March? Yes.

Will it “roll back years of underfunding” or bring back the thousands of clinicians who’ve stepped away from NHS lists? No.

Even government rhetoric now concedes the contract itself needs overhaul.

what practices can do while we wait (again) for reform

If you’re a principal trying to keep your NHS doors open, here’s what I’ve found helps, imperfectly, but measurably:

• Protect prevention in the rota. Ringfence hygiene/perio slots and child prevention clinics; publish them a month ahead so they’re never cannibalised by urgent demand

• Triage for stability, not just speed. Use trained dental nurses/ therapists in structured triage to convert urgent contacts into plans for stabilisation and recall

• Model the real cost. Calculate your “lights-on” hourly cost and price private work accordingly so NHS capacity is cross-subsidised knowingly, not accidentally

• Use community partnerships. Outreach in schools and local hubs reduces urgent spikes later – and builds trust that grows your NHS and private books alike

• Tell your story with data. Log how many urgent patients you absorb, how many you convert to recall, and how many prevention contacts you deliver. Share it with your ICB politely and relentlessly

the leadership we owe our patients

When people line up round the block for a dental place, it isn’t a media curiosity; it’s a verdict on a system designed for a different era.

The urgent care bonus is a plaster. Reform is the surgery. We need a contract that pays for what good dentistry actually is: access, continuity, complexity – appropriate care and prevention led by a whole team. If we’re serious about saving NHS dentistry, we must stop tinkering. Pay fairly for complexity. Fund prevention. Measure what matters. Then the headlines can be about health – not queues. n

References

1. https://committees.parliament.uk/committee/127/ public-accounts-committee/news/206285/ no-future-for-nhs-dentistry-without-reform-warnspac-as-govt-efforts-fail-to-halt-decline/?utm_ source=chatgpt.com “No future for NHS dentistry without reform, warns PAC, as ...”

2. https://committees.parliament.uk/ publications/47347/documents/245396/ default/?utm_source=chatgpt.com “Fixing NHS Dentistry”

3. https://www.ft.com/content/9347dbb5-d9e543fa-bd15-cb4becbf3491?utm_source=chatgpt. com “£150mn of NHS England dental budget unspent amid recruitment crisis”

Follow me on instagram @pollybhambra

About the author polly Bhambra, practice principal at treetops Dental surgery.

Clarity on candour

Dental professionals want to provide a high standard of service and clinical care but perfection is impossible. While no one wants to have to explain to a patient that something has gone wrong, honesty is the only way forward if we want to retain their trust.

By contrast, attempting to cover things up or being defensive would be a more serious departure from professional standards and could also lead to problems for your practice.

In 2014, the GDC and seven other professional regulators issued a joint statement which said that every health and care professional has an ethical duty to be open with patients “when something that goes wrong with their treatment or care causes, or has the potential to cause, harm or distress.”

The GDC followed this up two years later with its own duty of candour guidance, Being open and honest with patients when something goes wrong. This covers four essential steps if something goes wrong, from a patient “suffering actual harm during treatment to an issue with the service provided by the practice which causes distress.” In short, practices should:

• Tell the patient and apologise

• Offer an appropriate remedy or support to put matters right (if possible)

The patient may be distressed, confused or even angry. Give them time to digest the information, ask questions and provide access to appropriate support. Ensure the practice has the patient’s contact details so you can follow up with them and ensure the patient knows how to get in touch.

Follow up any discussions with patients in writing, including details of further enquiries and outcomes. This is a legal requirement under the duty of candour

• Explain fully the short and long term effects of what has happened

The guidance also emphasises that dental professionals in a senior role should ensure “staff understand the need to be open and honest with patients and that the culture of the practice or workplace supports this.” It warns that Professional Conduct Committees are expected to “take very seriously a finding that a dental professional took deliberate steps to avoid being candid with a patient or to prevent someone else from being so.”

Since 2015, the Governments in England, Scotland and Wales have introduced additional duty of candour laws for healthcare organisations (Northern Ireland is expected to follow suit soon).

While the underlying principles remain the same in each UK country, your practice’s legal obligations depend on your location and healthcare setting. In England, for example, the law applies to both NHS and independent general dental practices but in Wales, it currently applies to providers of NHS services (the Welsh Government hopes to extend this to private practices).

It’s a good idea to get specific advice from your defence organisation if you are unsure.

DDU advice

While aspects of the legal duty of candour for organisations can be complex, there are some general principles which will help you and your practice do the right thing: Tell patients or their representatives about errors as soon as possible, even if it seems a relatively minor matter. The treating dental professional is usually best placed to explain what happened (as this can help avoid inadvertent misrepresentation), what you will do to put things right and apologise.

A genuine apology to a patient or their family can help restore trust. It might also prevent a complaint or resolve one more quickly. Contrary to what many people think, saying sorry isn’t an admission of legal liability.

but it’s sensible in any case because it’s difficult for people to take everything in when receiving bad news. Keep copies of all correspondence for reference. If an adverse incident occurs there should already be clear practice guidance in place. This should include immediate actions required in the aftermath of an incident, the process for reporting and investigating and the relevant threshold for notifying incidents under the duty of candour.

Cover the duty of candour in staff induction and training so staff know what’s expected of them but also that they will be supported if something goes wrong.

Patients will find honesty and an apology more meaningful if they see an incident is thoroughly investigated and lessons have been learned. This shouldn’t be about apportioning blame but identifying areas that need attention along with a plan to implement change. 

Managing dental pain over the holidays

Making sense of metal in radiography

Offering patients effective recommendations to minimise dental pain whilst they wait for emergency dental treatment will mean that they are able to manage their discomfort at home, and have an overall more positive experience of the dental care process. Patients may search for home remedies for their pain whilst they wait for their treatment, which might offer varying outcomes. It’s important to be aware of what these might entail, and offer advice for effective pain management techniques.

When communicating with patients in preparation for practice closure over the Christmas period, it is important to clarify what defines a dental emergency. This will help patients make decisions about how, when, and where they seek care, and how to manage any pain they’re experiencing.

The Clinical Standard for Urgent Dental Care from NHS England outlines the varying types of conditions which may be considered emergency (life threatening), emergency dental need, urgent dental need, and non-urgent dental need. For example, a life-threatening emergency might include orofacial swelling that is spreading and may compromise the airway or orofacial fractures, a dental emergency might include uncontrollable bleeding or an avulsed permanent tooth, and urgent dental need might include severe dental and facial pain, fractured teeth, or significant facial trauma. Conditions might be considered non-urgent if patients are experiencing mild or moderate pain which is responding to pain-relief, have loose or displaced crowns, bridges, or veneers, or bleeding gums, for example.

As specified by the GDC’s Standards for the Dental Team it is recommended to communicate effectively with patients. Patientcentred communication is essential, and should ensure patients receive full, clear, and accurate information that they can understand. This should be consistent before, during, and after any care they may receive, enabling them to make informed decisions with the guidance of the dental team.

Should a patient attempt to contact the practice whilst it is closed over the Christmas period, it is important that the answerphone message contains helpful information for patients experiencing

dental emergencies. This should include ways that patients can access emergency treatment over the holidays, whether that’s an emergency out of hours service provided by your practice, or the NHS 111 service – a critical lifeline for those facing dental emergencies, offering advice and directing patients to their nearest available emergency dental service.

It is also important that patients receive advice for first aid, in case their condition is high risk and requires immediate management. For example, if a patient has a badly cracked tooth, advise that they rinse their mouth with warm water and apply a piece of gauze to stop the bleeding, or for a knocked-out tooth, provide clear and simple instructions about how to attempt to place the tooth back in the socket. It may also be helpful to have information and recommendations for managing dental emergencies available on the practice website.

Commonly, patients will contact the dental practice due to severe pain, seeking appointments and treatments as soon as possible. When very limited appointments are available over Christmas, it’s important to offer specific advice for pain management to help patients cope. For example, it may be beneficial to rinse the mouth with warm water, use dental floss to ensure any food is dislodged, and apply a cold compress to the cheek.

There are a number of other potential home remedies that might help patients feel more comfortable whilst they wait for dental care, including relaxation techniques, like deep breathing exercises to help calm the nervous system, meditation to reduce anxiety, and distraction to divert attention away from the pain.

However, probably the most effective option for the majority of patients will be pain relief medication. Commonly, patients will reach for oral analgesics such as paracetamol and ibuprofen – yet these are slow to take effect (with ibuprofen taking 20-30 minutes , and paracetamol up to one hour). Instead, for fast relief from toothache, recommend Orajel™. Containing 10% benzocaine, Orajel™

Dental Gel allows patients to apply the powerful local anaesthetic directly to the affected area for relief in less than two minutes. Plus, for patients experiencing more intense pain, Orajel™ Extra Strength can be found at the pharmacy and contains 20% benzocaine offering the strongest treatment for toothache.

By providing patients with the information and tools they need to manage their pain at home, dental practices can ensure an overall more positive experience whilst they wait for an urgent appointment at this busy time of year.

For essential information, and to see the full range of Orajel products, please visit https://www.orajelhcp.co.uk/ n

about the author

Amalgam fillings, silver and golden crowns, and the implants supporting aesthetic restorations are all examples of metals used in dental care. Silver amalgam, in particular, is thought to be the most common material for NHS permanent fillings across the UK, and 80% of adults in the UK report to have fillings (though not all of these will be amalgam).

Each of these can help restore function to a patient’s dentition, minimising pain from previous injuries or caries-affected teeth – but they’re not free from problems. In particular, clinicians can run into difficulties when assessing radiographs, and encountering metal artefacts.

Dental professionals should understand why metal artefacts are created during imaging routines, and be aware of the ways they can be minimised to improve diagnosis and treatment planning.

impact on imaging

An image artefact is a feature or discrepancy produced in a radiograph that is not present in real life. In dental care, artefacts can interfere with clinical assessments or treatment plans, leading to inaction or overtreatment, with patients in turn receiving compromised care.

Metal features in particular are an issue, as false dark and bright regions and linear streaks can appear close to or radiating from the object in a radiograph.

When a clinician uses a cone beam computed tomography (CBCT) system, X-ray beams pass through dental tissue, which alters the energy spectrum of the beam. These differences produce the final radiograph that allows clinicians to assess hard and soft tissues, and additional structures. Metallic objects are known to alter this energy the most, and can influence image quality by reducing contrast and obscuring the nearby structures.

In some cases, metals can be avoided from a radiographic scan entirely. A clinician may only need to analyse the posterior dentition, but a patient has a metal implant placed in the anterior incisal region, for example. The correct selection of a limited field of view (FOV) that localises the scan would omit the metal item, and the artefacts it would produce. This would also be beneficial as it would follow the ‘as low as reasonably possible’ (ALARP) approach to radiography, which limits exposure to minimise the possibility of adverse health effects.

However, treatment needs don’t always work this way. A metal object could be immediately adjacent to the area of interest, or otherwise entirely unavoidable if an image of the entire dentition is required. In turn, clinicians should be prepared to use alternative systems for metal artefact reduction (MAR).

What is Mar?

There are many ways to reduce the impact of metal restorations on a radiographic image. An increase in the tube current or voltage can reduce metal artefacts by increasing the number of photons with a higher energy reaching the detector – but this creates an increased radiation exposure

for the patient, an ultimately unwanted outcome considering the ALARP principle. Alternatively, MAR algorithms have been developed that help to clear up obstructions, improving visibility and the ability to create better-informed treatment plans. Deep learning models have shown promising results, and alternative algorithms are understood to reduce artefacts when applied before or after image acquisition. It’s important to understand the need for care with MAR systems. The type and size of defect, type of CBCT system used, type of MAR algorithm used, and the experience of the radiologist are all variable factors when acquiring radiographic results for diagnosis or treatment planning. Controlling as many aspects as possible is vital to consistently creating reliable radiographs for diagnosis or treatment planning.

How Mar makes an impact

Clinicians may be able to avoid overtreatment, or incorrect diagnosis leading to retreatment, if an area of the dentition is no longer obscured by a metal restoration’s artefacts. This is only possible when using an effective MAR system from a reliable source, created and supported by names that dental professionals can trust.

The CS 8200 3D Access is a leading CBCT system from Carestream Dental, which offers effective CS MAR technology with unique live comparisons, aiding the confirmation of diagnosis and reducing the risk of misinterpretation. The system also features six different fields of view, which allow clinicians to target select areas of the dentition to avoid artefact production. Dental professionals with limited radiographic experience will benefit with the CS 8200 3D Access as it makes advanced CBCT imaging more accessible, with a modern, user-friendly interface.

With many patients having metal-based restorations, it’s important to find ways to assess the dentition without detrimental impacts on care. MAR algorithms and targeted approaches to CBCT imaging can help clinicians attain optimal results –experience and high-quality solutions are all that is needed.

For more information on Carestream Dental visit www.carestreamdental.co.uk

For the latest news and updates, follow us on Facebook and Instagram @carestreamdental.uk n

about the author

Say goodbye to lost, broken or deformed impressions

With dental restorations, precision is paramount for a perfect fit. That means the quality of the impression is crucial. Despite advances in digital technology, cases are still vulnerable to one hugely disruptive risk: deformed, broken or lost impressions that have to be sent in the post from dental practice to the laboratory. A deformed or broken impression can affect cost, time, and productivity. A lost impression generally means the patient has to return to the dental practice, causing additional inconvenience and loss of reputation. All these issues compromise the speed and quality that practices require to function as well as the continuity of quality patient care within the practice.

Fragile from the offset

Whether silicone, polyether, alginate, or something else, each dental impression material varies in features. Alginate is widely used due to the balance between costeffectiveness, patient comfort, and efficiency, but falls short in its susceptibility to breakage, like a number of other materials. If the impression is taken well, these materials are accurate when it is taken, but can be easily compromised by pressure during postage or temperature fluctuations. Additionally, the regular transportation of impressions places them at even greater risk of getting lost. Alginate, by nature, can shrink within 30 minutes due to water loss through evaporation, decreasing the dimensional accuracy of impressions. When it becomes

distorted or the tray is broken, the impression is completely unusable. And, just like a lost impression, that means starting again with the patient.

the cost of lost time

The fast-paced dental environment relies on efficiency and precision to maintain a consistent workflow. Labs are almost always under work and time pressures, meaning one broken or missing impression can disrupt their schedules, pushing back work, and requiring rescheduling. Lost time is lost business.

Without any record – digital or physical – there is no possibility of replicating the impression, meaning an entirely new appointment with the patient is required to start again. Extending the process by weeks, these delays are hugely detrimental to productivity, and cost dentists and their technician counterparts time that cannot be regained. The compound delays reduce overall efficiency, potentially affecting other workflows.

Financial consequences

In addition to lost time, broken or missing impressions lead to financial consequences through wasted materials, and additional chair time. The requirement to retake an impression costs more than that of the additional material, but also costs associated with any other equipment use, and staff time too.

The staff re-allocation costs are a huge hidden expense with missing or broken dental impressions. Dentists, technicians, and practice support staff have insufficient

time and opportunity to amend the issues, update records, rebook cases, and of course, retake the impressions.

Digital impression workflow

Digitising the transfer process to the lab enables clinicians to overcome the challenges traditionally associated with the analogue process. In particular, a digital impression provides a readily available reference for professionals to recover or recreate the original template – not an option when analogue impressions are lost or broken. Digitising an impression is an undeniably faster process, and completely removes the risks of breaking or losing the impression, while immediately scanning chairside in the dental practice also significantly reduces the risk of deformation of the impression. The process allows for the impressions to be sent directly to the lab, with records

of the impression kept digitally for future reference. That also means the patient doesn’t need to return to the practice for amendments or replacements.

a smarter future

The Cubit360TM from MimetrikTM is a portable, ultra-fast method of scanning impressions chairside in the dental practice. Offering real-time scanning with no mechanical delays, and minimal space and training requirements, the digital scan can be received immediately at the laboratory, ready for the instant creation of models.

Efficient and intuitive, Mimetrik’s innovative scanner speeds up the entire case –removing days in the clinical pathway. The remarkable design provides six degrees of freedom – the only scanner in the world with this capability.

When impressions are lost, deformed or broken, the effects it has on the workflow, lab, patient, and dentist are much greater than merely a nuisance – costing time, money, efficiency, and reputation. By investing in the right tools, these risks can be avoided entirely, streamlining focus, progress, and results.

For more information about Mimetrik, please visit https://mimetrik.tech/ n

about the author

alyn Morgan is the co-founder and ceO of a spin-out company from the University of Leeds, Mimetrik Solutions.

Understanding and minimising healthcare associated infections

Dental care is critical to the wellbeing of an individual, whether an ailment is identified and intercepted before significantly impacting everyday life, or a restoration is provided to alleviate a longstanding issue. The worst-case scenario for any form of treatment is for care to exacerbate a problem or create a new cause for concern.

Healthcare associated infections (HCAIs) are one potential result of treatment in both dental and general healthcare. The pathways of contamination are bidirectional, with the opportunity for infection to be transferred from the patient to members of the dental team, but also from the clinician to the individual in the dental chair.

Understanding risks for HCAIs allows clinicians to revisit their workflows and make effective changes that support the safety of patients and the dental team.

current impact

The most recent figures for HCAIs in the UK come from a 2023 report, which found that 7.6% of all treated patients (across general healthcare) were affected. This was a 1% increase on the previous findings from 2016. The impact can be detrimental; infection leads to longer treatment times, the potential for extended hospital stays and, in the most extreme cases, risk to life. The NHS has consistently felt the strain of such pressures. In 2020, the cost placed upon the health service from HCAIs

was approximately £2.7 billion annually, accounting for 834,000 infections and 28,500 deaths – patient management and extended hospital stays accounted for most of this expenditure.

Before delving into how to anticipate HCAIs, it’s important to first recognise that prevention isn’t a fruitless task. The European Centre for Disease Prevention and Control estimates that up to 50% of HCAIs are preventable.

Finding risks

HCAIs can be caused by viruses, bacteria and multi-resistant bacteria. Most specific diseases will be associated with a virus, as bacterial transmission does not often result in infection, but clinicians still need to be aware of the potential for harm.

Legionella spp. and Pseudomonas aeruginosa have been linked to potential infections in the dental practice, with both bacteria able to survive in contaminated dental unit waterlines. Cases of infection from dental practices are sparse, but not unheard of. Legionnaires’ disease, from the Legionella spp. bacterium is considered to be a significant HCAI, as about 11.5% of reported cases between 1980 and 2009 in the UK were hospital-acquired.

Safe dental waterline microbial control includes the use of distilled or RO water, disinfectants and antimicrobial agents, as well as monitoring water quality and regularly flushing waterlines with air or water to avoid stagnation and biofilm build-up.

To avoid the transmission of viruses, everyone involved in providing care should be trained in hand decontamination, the use of personal protective equipment (PPE) and the safe use and disposal of sharps. Effective hand hygiene processes are imperative, especially when treating multiple patients.

The World Health Organisation (WHO) finds that appropriate hand hygiene prevents up to 50% of avoidable HCAIs. Liquid soap should be used at regular points throughout the workflow, including before and after each treatment session, before and after the removal of PPE, and before contact with instruments that have been steam-sterilised.

Sharps management

In dentistry, saliva and blood are prominent sources of infection, and bloodborne contamination is a high risk when an individual suffers a percutaneous injury. They are not uncommon, as around 51% of dental nurses have experienced an inoculation injury at least once, according to a 2025 survey.

Protocols in place to prevent injury, such as not recapping needles, are key. So too is sharps waste management – the most common stage of the workflow for an inoculation injury is after use, but before disposal. Clinicians must have access to sharps waste containers close to the point of use. If the sharp is contaminated, for example, by a bloodborne virus

when treating a patient with human immunodeficiency virus (HIV). Immediate access to an appropriately colour-coded waste container is also imperative in minimising risks.

Sharps bins from Initial Medical are designed for the safe classification of hazardous materials, whilst providing protection against percutaneous injury. They are available in a range of sizes and capacity variations, enabling clinicians to store waste created chairside, with point-of-use disposal trays available. They are colour-coded to keep in line with Health Technical Memorandum 07-01. You can also access free downloadable colour code posters on the Initial Medical website.

Understanding how HCAIs can occur is vital for dental professionals to know. Clinicians can then reflect on their workflows and ensure that they are as safe as possible for both patients and the dental team. Paying extra attention to sharps waste management is paramount to minimising risks, no matter how unlikely they may seem.

To find out more, get in touch at 0808 304 7411 or visit www.initial.co.uk/medical n

about the author rebecca Waters, Head of Marketing at rentokil initial.

Practice for Sale in London

Project Nashville

£1,350,000 plus Freehold STBV

Turnover

Type of Practice

EBITDA

£1,117,760

Practice for Sale in London

Project Lane

£1,175,000

Practice for Sale in Sheffield

Project Holiday

£1,900,000

Turnover

Type of Practice

EBITDA

Interested in a listing?

Explore more practices for sale at dentalelite.co.uk, or enquire about one of these listings by quoting the project name.

Ready to sell your own?

Get a free, confidential valuation and discover what your practice could be worth. Our expert team will guide you from valuation to completiondelivering results that speak for themselves.

01788 545900 info@dentalelite.co.uk

THE PRACTICE SALES AGENTS

Anaesthetic failure in irreversible pulpitis: strategies for the general dental practitioner

Teeth presenting with irreversible pulpitis represent one of the most common endodontic emergency scenarios in modern dentistry. Research shows anaesthetic failure rates in these “hot teeth” range between 43% and 83%. This unpredictability not only complicates treatment but also compromises patient comfort and confidence. Understanding why anaesthesia fails and employing evidencebased strategies to overcome this obstacle is essential. This article outlines practical, immediately implementable protocols that general dental practitioners can rely on to achieve profound anaesthesia consistently in these demanding clinical scenarios.

Why anaesthesia fails in irreversible pulpitis

Anaesthetic failure in teeth with irreversible pulpitis is predominantly driven by biological changes resulting from inflammation. Within inflamed pulp tissue, increased acidity reduces local tissue pH, impairing anaesthetic diffusion through “ion trapping”. According to this hypothesis, the acidic environment increases the proportion of local anaesthetic molecules in their charged, ionised form, preventing their penetration through nerve cell membranes. Additionally, inflammatory mediators, particularly prostaglandins, sensitise nociceptive nerve fibres, lowering their activation thresholds resulting in peripheral sensitisation. This sensitisation is accompanied by the upregulation of anaesthetic-resistant sodium channels, significantly reducing the efficacy of common anaesthetic agents like lidocaine. Furthermore, ongoing pain signals may trigger central sensitisation, amplifying the patient’s perception of pain, which may be worsened by patient anxiety. Equally significant is the role of accessory innervation, which frequently contributes sensory innervation to mandibular molars and remains unaffected by standard inferior alveolar nerve blocks. The combination of these physiological and anatomical complexities provides a clear rationale for why anaesthetic failures occur so frequently in teeth with irreversible pulpitis.

Ibuprofen and inflammation: enhancing anaesthetic efficacy

Ensuring clear preoperative communication with emergency patients who can safely take ibuprofen is a critical first step in managing irreversible pulpitis. A preoperative dose of 600 mg ibuprofen taken 60 minutes before injection has demonstrated nearly double the success rate

of inferior alveolar nerve blocks versus placebo. This beneficial effect results from non-steroidal anti-inflammatory drugs (NSAIDs) reduction of prostaglandin synthesis, which decreases nerve sensitisation and downregulates anaestheticresistant sodium channels.

Optimising clinical technique

Injection-related discomfort can be effectively mitigated through preinjection application of topical anaesthetics, in conjunction with the utilisation of the Gate Control Theory; achieved by tactile stimulation (e.g. rubbing or vibrating) of the mucosa surrounding the injection site during anaesthetic administration. Evidence supports the use of increased anaesthetic volumes to enhance inferior alveolar nerve block (IANB) effectiveness; specifically, administering 3.6 mL of local anaesthetic has demonstrated a significantly higher success rate of IANBs compared with 1.8 mL administrations. The presence

of accessory innervation also significantly influences anaesthetic efficacy. In particular, the mylohyoid nerve frequently provides accessory sensory fibres to mandibular molars, contributing to incomplete anaesthesia following conventional nerve blocks. Addressing such accessory innervation through supplemental injections, including lingual infiltrations, may be essential. Use of articaine infiltrations is recommended due to its enhanced lipid solubility, allowing greater diffusion through dense mandibular cortical bone compared to other amide anaesthetic agents such as lidocaine. Given that the lingual cortical plate in the posterior mandible is often thinner compared to the buccal plate, lingual infiltrations are also beneficial. Moreover, a supplementary technique of intrapapillary infiltrations which aims to deliver anaesthetic toward the trabecular bone crest between buccal and lingual cortical plates, can facilitate additional diffusion of anaesthetic solution.

Prior to the initiation of operative procedures, objective confirmation of pulpal anaesthesia using refrigerant spray such as EndoFrost (Roeko, Coltene, Switzerland) is recommended. Despite rigorous anaesthetic measures, residual pulp sensitivity may occasionally persist, notably upon entering the pulp chamber. Under these circumstances, an intra-pulpal injection may be required. This technique necessitates applying sufficient pressure to allow intra-pulpal delivery of anaesthetic solution whilst preventing backflow. While transiently painful, this method, if executed appropriately, rapidly yields profound and complete anaesthesia.

reliable

resources

General dental practitioners seeking further resources and guidance on managing endodontic emergencies and general endodontic care are encouraged to explore the British Endodontic Society’s (BES) Guide to Good Endodontic Practice. The BES website additionally provides practitioners with extensive educational content, detailed lecture series, comprehensive study guides, and regular in-person events, all designed to advance professional development and clinical expertise in endodontics. Improved awareness of endodontic complications amongst general dental practitioners, and the various potential management techniques will ultimately result in improved outcomes for patients. It is important to seek information relating to anaesthetic failure and other complications from reliable sources to ensure compliance with best practice.

For more information about the BES, or to join, visit britishendodonticsociety.org.uk or call 07762945847 n

about the author

Dr Dariusz Kasperek is an academic Clinical Fellow and Specialty registrar currently undertaking his Doctor of Dental Science degree in endodontics at the University of Liverpool. He has extensive clinical and academic experience, with research published in the British Dental Journal, Journal of Endodontics, BDJ Open, and Primary Dental Journal. Dariusz has presented his work at multiple aae and eSe conferences and currently serves as the postgraduate representative for the British endodontic Society’s early Careers Group.

Empowering patients through treatment choice

There is no debating that evidencebased dentistry is the order of the day. But beyond this, it is important that individuals have access to a choice of treatment options wherever possible. Not only does this allow them to find a solution that best suits their clinical situation, but also one that accommodates their budget, preferred deadline and lifestyle. For practices, offering a selection of treatment options may also appeal to patients, who will typically shop around and compare service providers before making a decision.

Optimising outcomes

A major part of providing treatment choice to patients is restoring control over their own care. This higher engagement with their healthcare has been shown to improve compliance with medical recommendations and enhance health outcomes. There is also evidence that it encourages self-efficacy among patients, inspiring them to take more responsibility for their wellbeing moving forward.

For these reasons and more, the concept of shared decision-making has become key across the healthcare sector. By increasing patient participation throughout the treatment journey, from planning through to maintenance, they are far more likely to stay motivated. The literature also suggests that patients will be more satisfied with the treatment outcome.

All of this is supported by studies that demonstrate how patient choice regarding medical intervention could lead

to both enhanced clinical outcomes and psychological wellbeing during treatment. A study into patients with anxiety disorders also found that giving them choice with regards to their treatment significantly improved outcomes for depression, decreasing the dropout rate and enhancing therapy adherence.

Consequently, it is essential that the dental team can provide a selection of treatment solutions for patients wherever possible. Communicating the choices and ensuring they are fully informed is integral to a successful shared decision-making process.

Budget management

Another key benefit of providing patients with different treatment options is to help them manage their budget more effectively.

There is a growing body of research that highlights an association between increasing dental care costs and reduced access. The rise in cost-of-living has been a catalyst for financial challenges among much of the UK population, requiring many individuals and families to prioritise and minimise their outgoings.

Cost is a leading barrier for vulnerable groups too, fuelling inequalities in oral health throughout the UK. Older adults are both directly and indirectly affected by cost of dental care, with the problem exacerbated for those living in the community. Financial barriers are also significant issues among people with protected characteristics and disabilities. They may either be concerned about covering costs, or might lack an

understanding of the financial support they could receive, leaving them with feelings of confusion and fear of the unknown.

By offering various dental treatment options, dental professionals can help individuals find an option that supports their oral health without compromising their financial situation. For some, simply providing a temporary solution may be enough to allow them to save a little more and complete treatment later on.

a new restorative choice

To increase access to high-quality yet affordable dental care, many clinicians have turned to technology. The advent and development of various solutions are continuously elevating the digital workflow and providing new treatment pathways that better suit patient needs.

The 3D printer is one such technology, affording multiple advantages that enhance the experience for both patients and practitioners alike. Among these are shorter treatment times, access to more aesthetic solutions and optimised patient convenience. While ultimately improving patient comfort and care outcomes, cuttingedge technology such as this provides several benefits for the clinical team and wider practice, saving time, reducing production costs, and increasing workflow efficiency. There is also an opportunity for team members to advance their professional skills by learning to utilise the equipment or support the 3D printing workflow, diversifying their role at the same time.

For peace of mind that all this and more will be consistently attainable, consider integrating the innovative Midas 3D printer from SprintRay – the UK’s only dentalfocused manufacturer of 3D printing solutions. The Midas uses patented Digital Press Stereolithography to overcome the challenges of first-generation printers that limited the viscosity of the resin material available to fabricate restorations. Combined with the new SprintRay Ceramic Crown, it is now possible for clinicians to 3D print crowns in under 10 minutes, with a total treatment time of only 45 minutes. This provides a new and exciting treatment option for patients, delivering a highly aesthetic, affordable and durable long-term temporary solution.

Innovating for access and quality of care

Providing patient choice is more than a niceto-have – it is becoming essential to facilitate access to the care so many individuals need. With the right equipment and protocols, dental teams can now offer highly affordable yet predictable dental solutions that give patients a better chance of restoring their smiles and their quality of life.

For more information, please visit https://sprintray.com/en-uk/ n about the author ross Phillips, Sprintray area manager, UK & nordics.

Choosing effective cementation solutions with Dr Akit Patel

Specialist prosthodontist Dr Akit Patel has extensive experience in restorative dental care, from working in a private specialist practice focusing on implant, aesthetic and reconstructive dentistry, to teaching clinicians in hands-on courses such as Success Simplified, with Solventum, formerly 3M Health Care.

He spoke about why he uses the 3M™ RelyX™ Universal Resin Cement, and why he recommends it to other dental professionals.

Why and when do you use the 3M™ RelyX™ Universal Resin Cement? I use the cement when I want to confidently adhesively bond, based on if the restoration needs it – for example it’s a weak ceramic that needs strengthening – and/or if the tooth preparation lacks sufficient retention and resistance form.

The 3M™ RelyX™ Universal Resin Cement is a material you can trust across a wide range of clinical indications, so it has become a key part of my everyday workflow.

In the Success Simplified course, you talk about knowing when and why to bond or cement. When should you choose an effective cement?

There is a trend for one to adhesively bond all restorations, but that approach is incredibly technique sensitive. When you’re using resin composite materials, you need to follow the right protocol and take great care – leaving more room for error. I prefer to choose a cement when I want ease of application and a quicker, more comfortable workflow for both myself and my patient.

When I need to bond, I try not to overcomplicate things. A reliable solution like the 3M™ RelyX™ Universal Resin Cement helps make the application less technique sensitive and easier to perform.

What common challenges do clinicians face when providing indirect restorations, and how can their choice of cement help to deliver more predictable outcomes? When resin cements fail, it’s often because the clinical steps weren’t followed exactly as instructed. Proper surface cleaning and preparation are critical for creating the right conditions for the cement, and missed steps lead to problems such as debonding or microleakage at the margin.

3M™ RelyX™ Universal Resin Cement simplifies this process. Most adhesive cements are either self-adhesive or adhesive, but this is the only cement I know of that combines both modes in one product. Clinically, that means I can use the same adhesive bond I use for direct work—just one adhesive bottle (3M™ Scotchbond™ Universal Plus Adhesive) and the cement itself—which streamlines my workflow.

You can use it in self-adhesive mode, which often provides sufficient retention,

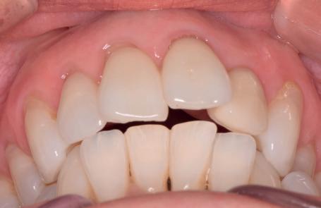
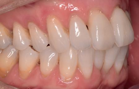
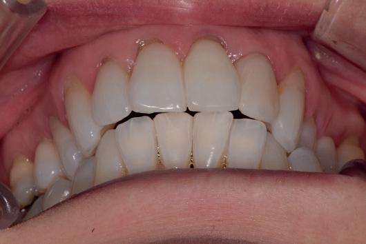
The extended orthodontic case

Orthodontic care is a commitment. At the end of treatment, patients have an aligned, functional and aesthetic smile, with the potential for dramatic change over months or years. But success relies on many elements, including the skill of the clinician and a patient’s engagement with care. The latter includes the diligent performance of an oral hygiene routine, and simply wearing an appliance such as a clear aligner for the prescribed amount of time every day. If a patient fails to keep up with these responsibilities, treatment times could extend, or the treatment could fail altogether. When a patient is lackadaisical in their oral hygiene routine, failing to remove plaque or food debris from interdental spaces, the gingival margin or around brackets and wires, they may develop white spot lesions, caries or periodontal disease over time.

Understanding extended orthodontic cases, and factors that can influence patient motivation, is essential for all clinicians. It ensures that they are prepared to support individuals with the challenges that they face, better ensuring they achieve an ideal final result that they have to wait so patiently for. a tale of time

No two orthodontic cases are the same. Each individual has unique needs, from the actual required movements of the dentition in order to align the teeth, to additional considerations for care alongside

or in adhesive mode with the 3M™ Scotchbond™ Universal Plus Adhesive for maximum strength––so you only need two products that do it all for you.

As a bonus, if a step is missed in tooth preparation, the self-adhesive mode will kick in and do the work for you on the surface. I often tell colleagues it’s like the “AI” of cements—it adapts to the surface conditions and acts like a clinical get-outof-jail card when you need it.

Do you find the 3M™ RelyX™ Universal Resin Cement offers the versatility you need for different restorations?

Absolutely. Paired with 3M Scotchbond Universal Plus Adhesive, it will bond to virtually anything—zirconia, all types of ceramics and metals, composite, and even acrylic. I use it for crowns and bridges, onlays, veneers, partial restorations, and I’ve even used it to cement denture teeth.

I’ve never experienced a debond with this cement. It delivers the highest bond strength I’ve ever known, so I have complete trust in it.

How important is learning to use new products in hands-on educational environments, such as with the Success Simplified course? Hands-on learning is invaluable. It allows you to update and upgrade your skills, refine your understanding of each procedural step, and immediately put solutions—like 3M™ RelyX™ Universal Resin Cement—into practice.

The Success Simplified course guides clinicians through the entire indirect restorative workflow––from assessment and strategic planning, to tooth preparation, optimal material

systemic conditions. A diabetes diagnosis, for example, can influence bone remodelling and the inflammatory response. However, treatment times are typically fairly predictable. If a patient follows orthodontic advice, targeted results can usually be achieved within 6 to 30 months of use, depending on the complexity of the case. The average fixed appliance treatment takes around 19.9 months, or just under 2 years, and patients should be aware of this before commencing with treatment. The literature notes that if a patient or their parents (as orthodontics is commonly undertaken by adolescent patients) do not have a clear understanding of the duration of treatment and requirements throughout care, they can find it more challenging to reach satisfactory outcomes. Patients undergoing different types of orthodontic procedure need to be aware of how the choice between fixed and removable aligners will impact treatment timelines. Clinical literature finds that the length of treatment is often underestimated during the consultation for clear aligners, potentially impacted by noncompliance with regular wear. The actual length of treatment is often

selection, and expert tissue management. They master practical impression techniques and provisional fabrication, all while learning streamlined cementation strategies, and simplified adhesive protocols.

True to the KISS principle—“Keep It Simple, Smart” – that I follow, this comprehensive hands-on experience is designed to empower clincians with the confidence and skills to deliver predictable, long-lasting restorations—making your indirect restorative care faster, easier, and more successful than ever before.

To learn more about Solventum, visit solventum.com/en-gb/home/oral-care/

For more updates on trends, information and events follow @solventumdentalUK and @solventumorthodonticsemea on Instagram.

Sign up to the Success Simplified course with Dr Akit Patel, and use code SUSI20 for 20% off here: https://tinyurl.com/SUSI20 n

similar to fixed braces – a 2023 report found that average length of care was 5.1 months longer than estimated during consultation.

Understanding motivation

With such long treatment times, its vital to understand what can demotivate a patient during care. To begin with, motivation can be driven by a number of factors. Individuals want an evidence-based approach from their practitioner, resulting in a positive health outcome; they typically wish to have immediate, convenient solutions, which value their time and aid with immediate gratification; and they wish to be understood through personalised connection with a professional, who ensures their specific needs are met.

Whilst the length of treatment is in contrast to the innate wish for immediate gratification, this source of motivation could be supported during in-person appointments. For example, clinicians make a concerted effort to maximise the use of time in a session, with orthodontist, dental nurse, and any other professionals working together to educate and coach patients, and use technology where suitable for more efficient care.

The literature finds that challenges such as discomfort and pain can strongly affect treatment satisfaction, but that despite this, there are overwhelmingly positive patientreported outcomes. This is often because patients feel the challenges are worthwhile due to the impact of the final result.

Keeping comfortable

Managing pain and discomfort due to orthodontic appliances is vital for treatment satisfaction and engagement. They are the most negative side effects of the treatment, and a main reason for non-compliance.

Encouraging patients to use a solution like the Orthodontic Relief Wax from Kemdent ensures they can minimise irritation from brackets and wires, making treatment more comfortable. The Orthodontic Relief Wax can be simply warmed in a patient’s hands, and applied over the cause of pain to act as a smooth barrier before being easily removed when eating, drinking or performing the oral hygiene routine. Stored in a recyclable tin, the wax can be carried around for use throughout the day.

Understanding what keeps patients motivated throughout orthodontic treatment is key to providing ongoing support. Clinicians should ensure care is personalised and advice is given prior to it beginning, so that patients are prepared for the follow months or years to come.

For more information about the leading solutions available from Kemdent, please visit www.kemdent.co.uk or call 01793 770 256 n

about the author alistair mayoh, marketing Director, Kemdent.

But your recommendation can make a big difference.

The interplay between oral health and rheumatoid arthritis

Rheumatoid arthritis (RA) is a chronic autoimmune disease in which a person’s synovial linings are attacked by their immune system throughout the body. RA causes joint inflammation, which, in extreme cases, can progress to permanent joint damage and disability.

Affecting at least one in every 200 adults worldwide, rheumatoid arthritis has long been categorised as a disease of the musculoskeletal system. However, research also indicates that RA extends beyond joints, with oral health – particularly periodontitis – being regarded as a factor in the onset and progression of the disease. Research surrounding the connection between oral conditions and inflammatory arthritis dates back centuries, with Hippocrates suggesting that tooth removal could cure arthritis.

Shared inflammatory responses

Rheumatoid arthritis and periodontitis share the same processes of chronic inflammation – the suffix of “-itis” itself quite literally connotes inflammation. In RA, the joint linings’ destruction causes stiffness, extreme swelling, and ultimately, complete joint deterioration.

Similarly, in periodontitis, microbial plaque builds up along the gingival margin, instigating an intense immune response. This eventually provokes an exaggerated reaction, resulting in the disintegration of periodontal tissue and the alveolar bone. The interchange between these inflammatory mechanisms has led to evidence surrounding the bidirectionality of the relationship. There is a high correlation between patients suffering with RA and their rate of periodontitis compared to the general population. Furthermore, severe periodontitis can intensify systemic inflammation and exacerbate the symptoms of RA further.

rheumatoid arthritis and xerostomia

Dependent upon the severity of the condition, RA is treated through various methods. This ranges from over-the-counter analgesics, anti-inflammatory medication, disease-modifying antirheumatic drugs, and in some cases, surgery. Unfortunately, a side effect of many of these medications is decreased salivary flow.

RA is strongly associated with xerostomia symptoms indicative of reduced salivary flow even in patients who are not taking xerogenic medications – affecting more than 50% of RA patients. Furthermore, RA is linked to conditions such as Sjögren’s syndrome (SS), which is also associated with xerostomia. Due to this connection, patients with RA are more likely to experience periodontitis as a result of xerostomia reducing the oral clearance effect of the saliva.

Joints and dexterity

RA can directly impact the temporomandibular joint (TMJ), causing severe pain in the entire orofacial region. Due to the inflammation in the TMJ, the cartilage and other structures become damaged, causing stiffness and restricted movement, particularly in opening the mouth.

The relationship between RA and oral health is far from restricted to biology – there is also a functional element of bidirectionality. RA is renowned for compromising dexterity and grip strength, which further impairs patients’ ability to perform effective oral hygiene procedures and routines. Consequently, more plaque accumulates, instigating greater susceptibility to gingival inflammation. This vicious cycle is sustained by the individual’s inability to efficiently manage their oral health – an issue that is exacerbated by RA to begin with.

The systemic and practical challenges that RA patients face must be considered

by dental professionals, with considerate oral health interventions tailored to each individual’s capability.

Prevention and management

The right strategies and support can alleviate the symptoms of both RA and periodontitis. Oral health can be proactively managed with twice-daily toothbrushing, daily plaque control, the use of fluoride products, and effective interdental cleaning.

Even without the dexterity difficulties associated with toothbrushing, it is commonly understood that using toothbrushes alone is inadequate in removing dental plaque, with evidence suggesting that 40% of dental plaque remains. This means that combined with limited dexterity, the effectiveness of toothbrushing alone is insufficient.

the role of interdental cleaning

Interdental areas are extremely susceptible to gingival inflammation which makes thoroughly cleaning them vital to reduce the risk of periodontal disease, which may in turn reduce the risk of developing RA. For individuals living with RA, interdental cleaning often presents a challenge. Regular floss is difficult to operate due to patients’ minimal hand function. This is evident through the anatomical and neuromuscular changes, the muscle, grip, and pinch strength loss, and diminishment of sensory management and coordination experienced by those with RA. Due to this, the success of conventional dental flossing is limited for RA patients. Interdental

brushes, however, provide a practical and effective alternative.

High quality tools like the FLEXI interdental brushes from TANDEX promote healthy gingivae by reducing the amount of plaque build-up. FLEXI brushes are available in 11 different sizes, delivering tailored care to each individual circumstance –accommodating anatomical variation for all stages of RA. The ergonomic design of the brushes improves ease of use for those with joint stiffness and minimal dexterity, offering them an alternative against their physical limitations. Combining the brushes with the TANDEX PREVENT Gel allows patients to take full control of their oral health. Containing 0.12% chlorhexidine and 900 ppm fluoride, the gel delivers anticaries and anti-inflammatory advantages which is ideal for minimising periodontitis in RA patients.

tailored support against inflammation

The research connecting rheumatoid arthritis and oral health continues to evidence that the successful management of periodontal disease extends beyond the oral cavity, but can positively impact more systemic health and wellbeing too. Supporting patients with tailored, accessible, and effective advice and tools allows dental professionals to provide more considerate and holistic inflammation control.

For more information on Tandex’s range of products, visit https://tandex.dk/ Our products are also available from DHB Oral Healthcare https://dhb.co.uk/ n

Support young minds and mental health

Mental health is a growing concern in our world today. It is also becoming an increasingly significant focus in our roles as dental professionals as we attempt to navigate the pressures of modern life that may impact our patients’ oral and systemic wellbeing. The mental health of young people is a particular concern, with the latest figures painting an alarming picture.

a diverse problem

Sadly, mental health challenges can present at any age. Government figures from 2023 suggest that approximately 1 in 5 young people aged 8-25 years had a probable mental disorder.

It seems that women may be at higher risk. In the 17-25 year age group, rates for probable mental disorder were twice as high for women than men. Eating disorders were also identified in 12.5% of 17-19 year olds, with females

four times more likely to be affected. That said, there are several reasons why reports of mental health conditions may be lower among males, including perceived stigmas and a reduced willingness to seek help. As such, it is important to appreciate that many boys and young men remain at risk.

Improvements needed

As understanding of mental health among young people has improved, so too have the services available. However, work is continuing to ensure there are sufficient resources for those who may seek them.

A report by YoungMinds found that around 70% of young people sought mental health support in the two years preceding the report. More worryingly, almost 60% of these individuals felt that their mental health had gotten worse while they were waiting for professional help, with 15% attempting to end their life during this time.

Despite massive inroads in understanding and acceptance of mental health, these statistics highlight the importance of continued funding and training in the field. It is everyone’s responsibility to keep the conversation going and ensure that anyone needing help is able to access it.

In the dental practice

For dental professionals, this responsibility can be fulfilled in a number of ways.

Firstly, it is essential to have an up-to-date knowledge of the oral manifestations and impacts of key mental health conditions like eating disorders, depression and anxiety. This can be improved with training for the team and creating a safe space for discussion among the staff.

It is also crucial to build rapport with patients from a young age to encourage their trust in you as a healthcare provider. This will prevent the dental visit adding to any stress they feel in later life, and hopefully give them confidence to seek advice about their wellbeing should they need it.

Finally, providing information on mental health, sharing links to reliable resources, displaying posters and advocating for mental health online will also establish your practice as a source of support for those who may be suffering. Any one of these may trigger a conversation with a young patient, or give them the confidence to ask for information.

Why not take the opportunity every day to show your young patients that there is always support available should they need it? n

about the author endoCare, led by Dr Michael Sultan, is one of the UK’s most trusted Specialist endodontist practices.

Bruxing the night away

As one of the leading causes of nonodontogenic orofacial pain, temporomandibular joint disorder (TMD) is a major disruptor to everyday life. Whether effecting mastication and limiting the choice of foods or causing consistent pain that makes it difficult to concentrate at work, the impact of TMD is widespread. By identifying the aggravating risk factors for TMD, dental practitioners can better help their afflicted patients with managing the condition. Part of this includes learning more about sleep bruxism and being able to understand its correlation with TMD – a contentious link that can often provide contradictory results.

Correlation – but is there causation?

TMD easily progresses from acute to chronic pain; the temporomandibular joint (TMJ) is used throughout the day for talking and eating, whilst parafunctional habits like clenching also mobilise it. Similarly, bruxism is characterised as repetitive jaw-muscle activity, such as the bracing or thrusting of the mandible and grinding, and is selfreported among 12% of the population.

Research on the association between sleep bruxism and TMD is divisive. One study, assessing an array of literature on the subject, determined that the methodologies used heavily influenced each study’s findings. Effectively, the studies based on a self-reported or questionnaire-based approach to bruxism found an association with TMD. This highlights the need for more

specific categorisations of both conditions, helping to avoid the conflation of the two. For sleep bruxism, the Internal Classification of Sleep Disorders has an established criteria, noting the presence of regular or frequent tooth grinding during sleep, morning jaw-muscle pain or fatigue, jaw locking upon awakening, and/ or temporal headaches. Almost 40% of patients with TMD pain are told by their dentist that they have sleep bruxism, highlighting the overlapping association between the two conditions. These patients are expected to exhibit more severe clinical manifestations and report a higher pain intensity.

Going round in circles

One of the challenges with defining the association between sleep bruxism and TMD is how the two are often locked in a vicious cycle, raising the question as to which came first. Peak incidence of sleep bruxism is among adults aged 20-40. This is the age for raising a family, finding jobs, owning property and juggling busy social lives. It is unsurprising then that sleep bruxism is linked to elevated levels of stress, anxiety and depression; there’s a lot to manage as an adult. As 90% of TMD patients experience sleep problems (not exclusively sleep bruxism), this increases tiredness the following day, limiting productivity and impacting mood. This decline can further increase stress –the stress hormone cortisol is a significant predictor of sleep bruxism in TMD patients.

Hemostatic Gingival Retraction Paste

Features:

▶ Aluminium chloride (23%) acts fast and won’t slough tissues.

▶ Quickly stops gingival bleeding and crevicular fluid seepage. The bright blue color makes it easy to see the material.

▶ The creamy consistency adapts well and easily washes off clean, leaving no residue behind.

▶ Set Time: 2 Minutes.

▶ Available in syringes and single dose capsules.

Whilst those with higher levels of cortisol are likelier to grind their teeth, not every sleep bruxer will fall into the cycle of disrupted sleep, impacted mood and TMJ pain. Some studies posit that bruxism itself is a mechanism for stress relief, and is not an exacerbating aetiological factor of it.

For dental professionals, identifying patients who have a higher risk of developing TMD or are showing signs of sleep bruxism (an unawareness they are grinding their teeth or a partner has reported hearing it) is vital to protect their teeth and TMJ. The leading predictors for both conditions are:

• Patient age (20-40)

• Sleep deterioration

• Psychological distress

• Elevated cortisol levels

With these in mind, dental professionals can guide patients towards suitable management strategies. Whilst the discourse around sleep bruxism demonstrates that it may not be a direct cause of TMD, the correlation between the

two makes them excellent indicators for the other. If a patient has one, there is a strong chance they have the other due to the shared risk factors, especially around their mental state.

Reduce pain for better sleep

To help patients alleviate the symptoms of TMD and restore strength and function to the jaw, recommend the OraStretch® Press Rehab System from Total TMJ. A reliable device for at-home rehabilitation, it stretches the orofacial tissues to promote mobility. Diligent use of the OraStretch® Press, as directed by a clinician, can lead to an improved quality of life, one where jaw pain is no longer a major disruptor to everyday activities – especially sleep.

Whilst easy to look at the overlapping risk factors between TMD and sleep bruxism, the actual cause and effect between the two continues to be controversial. Dental practitioners can help by assessing at-risk patients and highlighting the best ways to limit sleep bruxism and manage TMD for a better night’s sleep and an improved quality of life.

For more details about Total TMJ and the products available, please email info@totaltmj.co.uk 

About the author Karen Harnott, Total TMJ Operations Director.

Pulp Vitality Tester

Features:

▶ Accurate: reliable results in seconds.

▶ User-friendly: single button operated device.

▶ Non-invasive: maximum patient comfort.

▶ Repeatable: essential for monitoring dental pulp health over time as it measures vitality on a scale from 0 to 64.

Providing high-quality training to care home staff

Penny Priddy RDH is a dental hygienist, with over 37 years of experience, previously working in both NHS and private practices, and focusing on the treatment and prevention of periodontal disease. In recent years, Penny has devoted her time to providing oral health care services to care/nursing homes, health care professionals, organisations of care providers, and members of the wider community. Penny has presented at the BSDHT regional meetings, Oral Health Conference, and has submitted articles to dental journals, and local magazines. She is a member of the Parkinson’s Society, 3 Nations Dementia Working Group, and Autistic Society.

She discusses her professional journey as an oral health educator:

“Having enjoyed my working time in surgery, I have now branched out in designing and delivering specialised oral health care training programmes for staff in care/nursing homes. The CPD is registered and my presentations consist of one hour theory, with slides, and one hour of practical, allowing for plenty of interaction. CPD certificates are issued to attendees. Following certain formalities an ‘overall’ certificate may be issued to the care homes. I have found that by the end of the two-hour training course, attendees

have not only taken on board the advice to help care home residents, but to help themselves too!

“In my experience, the personal element is particularly important, especially as many people now exclusively provide training online following Covid. Generally, in the care environment, people prefer face to face, so I am prepared to travel.

Feedback has shown me that, during in-person sessions, people feel more comfortable asking questions and enjoy a more valuable learning experience. I also stay in contact following training, maintaining continuity over the phone to answer any questions they might have, and offer support.

“In a world where dental implants, cosmetic dentistry, and even lip fillers are becoming more popular, it’s important

that we don’t lose focus on prevention, especially in settings where residents are more vulnerable. I believe that education is important to ensure people utilise the best possible oral health solutions for them. ‘Prevention is better than cure, and we all have a right to it.’

“At the moment, I am training a variety of care providers, these amazing people are helping others to maintain their independence. However, and very sadly, in some settings there is minimal oral health care. Similarly, when working with care agencies, oral hygiene is way down the bottom of the list.”

Environments such as care homes present a number of unique challenges when it comes to improving standards of oral health for their residents. Penny elaborates:

“On occasions, after making regular contact with managers of care homes, it can reveal that oral health has slipped from their list of priorities. I have found that the other biggest challenge is staff not knowing how to, or being able to, get hold of appropriate equipment for oral hygiene maintenance. In an effort to combat this, following a training session, I provide a bespoke oral health care sundries box to the care home (CQC approved!). These contain the products I have recommended in my training, which means that staff can easily reach for specific tools to help solidify the skills they have learnt, thus following it through with confidence.

“BioMin® toothpaste is included in the sundries box, to ensure that care home staff can easily get hold of this highquality solution when they need it. With a tailored fluoride concentration of 530ppm I have found that it is a great alternative to high-fluoride toothpastes, like Duraphat®, traditionally prescribed by a dentist. This enables care home residents to gain the BioMin® preventative formula without the need for a prescription and the associated appointments. This is ideal for people who are vulnerable or who have limited mobility.”

Meeting the specific needs of care home residents

For individuals with limited mobility or cognitive decline, maintaining perfect brushing technique is often not possible. BioMin® offers a critical advantage in these settings. Its responsive, controlled-release technology continues to protect teeth for up to 12 hours after brushing. This means even imperfect brushing delivers extended benefits, continuously releasing calcium, phosphate, and fluoride to protect enamel, reduce sensitivity, and neutralise acids throughout the day. In care home environments where brushing frequency or technique may be compromised, BioMin® provides lasting oral care when it’s needed most. Penny comments on the benefits she feels it offers residents when they transition to care homes:

“BioMin® is user friendly, has a mild mint flavour, and is cost-effective when used long-term. It’s dairy-free, zinc-free, and paraben-free, making it a fantastic option for a wide range of residents. When people are living independently, there seems to be a void in which people are not receiving oral health education and support. I believe that BioMin® can

be a preventative measure, which can be used when living in their own home and continued once they’ve moved into a care home. This type of preventative care can reduce the need to go to the dentist for a prescription, along with avoiding invasive treatment, which can be costly and emotionally traumatising to those vulnerable people.

“As such, I am planning to carry out more training with agencies who provide home visits. In this scenario, if a care worker thinks that an individual is at risk of decay, they will have BioMin® in their armamentarium. Whilst I do not diagnose, my OHC assessments offer guidance towards applying preventive measures.

“So far, I feel that my work has had a positive impact on these settings. Additionally, I feel that this is further magnified when I provide individual oral health care support visits, highlighting the unique needs of each resident. I feel it is a privilege to work with and support likeminded health care professionals. I have made strong and valuable relationships, which are both professional and personal. My work continues!”

The science is clear. The solution is simple.www.biomin.co.uk

Back in Stock Soon!

We are currently experiencing a temporary disruption in supply across many of our usual stockists due to regulatory issues. While this is a temporary pause, it’s a part of ensuring we meet the highest standards and continue to provide safe and trusted products to our customers.

We’re working hard behind the scenes to resolve this and will be sharing updates on our website as soon as we have a clearer timeline. Your patience and continued support is truly appreciated. 

Aesthetics in a System

Quick, precise, economical –Composites from TOKUYAMA

State-of-the-art restorations with our intelligent composite system: maximum control, impressive aesthetics and seamless processing.

Excellent polishability & handling multiple awards from Dental Advisor

Individual possibilities of application thanks to a wide range of viscosities

High resilience due to optimally matched spherical fillers

Deep & fast curing through controlled refractive indices & RAP-Technology

Get Connected in every treatment room with A-dec 500 Pro.

• Intuitive, responsive technology keeps your practice up to date

Everything you’ve come to appreciate about the A-dec 500 dental chair, is now available with a new delivery. Enabled with A-dec+, an updatable software platform, the A-dec 500 Pro delivery system supports your dental team with a new level of connection.

• Optimal access leaves patients at ease while placing essentials comfortably within reach

• Flexible integration allows for future upgrades and versatile configurations

• Gentle, supportive care balances functionality with comfort to elevate the patient experience

We’re pleased to offer A-dec customers a warranty that reflects the confidence we have in our equipment’s longevity and high standards of excellence.

Parting words from a BACD President

Fifteen years ago, I walked through the doors of the British Academy of Cosmetic Dentistry (BACD) as a young, curious new dentist after having attended a single regional lecture whilst in my final year. I did not yet know that this academy would shape not just my professional path, but my purpose.

This year, I have had the privilege and responsibility of leading the BACD as its President during one of the most pivotal times in its history. Dental education, professional community and member value are all being redefined across our profession, and while we’ve faced challenges, I’m proud to say: we’ve emerged stronger.

We’ve made bold but necessary decisions to safeguard the future of the academy by reshaping the Annual Conference going forward; restructuring not only to preserve our future, but to elevate it. We’ve reimagined the way we bring value to our members by leaning into our strengths: our community, our passion, and our shared belief that excellence in cosmetic dentistry is about more than aesthetics – it’s about integrity, trust, and heart.

This year we have more members within the BACD accreditation program than ever before, and 2025 marks the release of the BACD Awards to showcase the very best our membership has to offer this profession and their patients. There has been unprecedented interest in events such as The Young Dentist Day which, under the leadership

of our Young Membership Committee, was my attempt many moons ago at creating a self-sufficient, inspirational and safe space for new dentists and students. Never would I have imagined its success today.

I’m incredibly proud of the advances the academy has made this year in terms of digital presence, and the growth of our online community. Having spent most of my years on the board as Communications Chair, I understand how dynamic and challenging this space can be. We are excelling in this landscape: the BACD website is new, improved and works like an app, allowing members to easily access their account, perform admin tasks and book events in style, such as the new gala dinner seat booking system and the membership points tracker and QR code event registration. Investing in these tools enables the academy to not only remain innovative, but to provide a smooth service for our members.

Also this year, we have restructured our individual committees into the BACD Task Force. This is a group of highly committed and exceptional individuals all working towards a common goal, united as one, without friction or competition. With a support network like this, I am looking forward to the successes that will come in future years.

Our members are the heart of this academy. Whether you’ve been with us from the beginning or you’re attending your first BACD conference – you matter. It’s because of you that this organisation

is thriving. Your commitment fuels everything we do. Membership benefits within the dental and non-dental space have been a priority. The annual BACD ski trip has become a tradition, along with the driving and golf day, and boutique event invites for members to exclusive product sampling and tastings have also proven popular. These exist to strengthen what the BACD is known for: it’s community.

Education has and will always be the top priority for this academy, and the 2026 calendar has been designed with considerable thought by our Education Committee, taking note of what members want. Hands-on sessions, lectures, webinars, and learning along with international and home grown speakers together bring a unique offering, not only for the necessary CPD, but for inspiration and tips and tricks that aim to position BACD members at the forefront of what they do.

I must thank our incredible board members. You give your time and your expertise selflessly. Your passion is not only inspiring; it’s contagious.

Of course, Suzy Rowlands our executive administrator – there aren’t enough words to describe your contribution. Your devotion to the academy is unmatched, and we are endlessly grateful for your dedication behind the scenes. Quite simply, we couldn’t do this without you.

What gives me the most pride as President is not just what we’ve achieved this year – it’s what I see

ahead. The future of the BACD is bright because it will be in the hands of exceptional individuals who care deeply and dream boldly.

As I reflect on my journey from student to President, I’m reminded that this academy is not defined by one person or one year – but by the collective spirit of those who care enough to contribute, connect, and create something extraordinary.

So here’s to community. Here’s to resilience. Here’s to the next chapter of the BACD – one we’ll write together. We have helped hundreds of dentists achieve their professional goals, and thousands of patients achieve their dream smiles.

For further information and enquiries about the British Academy of Cosmetic Dentistry, visit www.bacd.com n

About the author

Dr sam Jethwa BDs MfDs rCs pgDip Clin ed, president of The British Academy of Cosmetic Dentistry and founder of Bespoke smile Advanced Dentistry & Academy. instagram @dr.samjethwa

Raising standards through collaborative care

Dentistry is a complex and multifaceted profession, requiring professionals to acquire a broad range of skills and capabilities. The general dental practitioner (GDP), in particular, must develop competence and confidence in a huge array of clinical and non-clinical areas in order to ensure exceptional patient care. As such, dentists will invest heavily in lifelong training and education to remain abreast of the latest techniques, materials and technologies on the market. However, despite the extensive armamentarium of procedures at their disposal, GDPs will inevitably come across patients whose needs exceed their scope of practice. This is when referring to a specialist or expert team becomes essential for the continuity of their high-quality care.

Maintaining standards

There are a number of regulations in place to protect patients from sub-standard dental care, which mandate referrals to colleagues where clinicians are not capable of providing a particular treatment. All dental professionals are legally obligated to refer patients to appropriate colleagues whenever they are not sufficiently trained or competent to deliver the care needed. This is relevant in all disciplines from orthodontics to periodontology to oral surgery. The GDC’s Standards for

the Dental Team also clearly state that all patient referrals must be made in the patient’s best interests – free from financial gain for any professional involved – or if a clinician feels they can’t treat a patient safely due to additional needs or disabilities. The guidance requires the referral process to be explained to the patient and that all details must form part of the clinical notes.

All of this is the bedrock of safe and effective dental care. Failure to comply with the regulations would leave professionals vulnerable to serious legal action. Even if a dentist is acting with the patient’s best interests at heart, any treatment performed that results in poor outcomes due to a lack of experience or skill could still lead to significant medico-legal complications.

Managing the risk

Sadly, litigation has become a major issue in dentistry. More than half of dentists (54%) surveyed by the BDA cited fear of complaints as a major source of stress at work. In many cases, work-related stress levels exceeded the clinician’s ability to cope, placing them at high risk of reduced mental health. And it’s not a problem that’s likely to decline any time soon. The number of complaints reaching the Parliamentary and Health Service Ombudsman about dentists increased by 66% between 2017/18 and 2022/23. Among the top reasons for

patient complaints are dissatisfaction with an aspect of the treatment or the standard of care provided, and unmet expectations.

Both of these can be better managed with a second professional opinion and/or specialist insights, making referrals even more important. There is also a sound argument for sharing the responsibility of more complex treatment, where the risks of clinical complications are higher. This pathway reduces the pressure on the GDP to perform a procedure outside of their comfort zone. In addition, if a patient knows that an expert in a particular field has been consulted or is providing the treatment, they are more likely to appreciate the complexity of their care and their expectations should be managed more effectively.

A trusted partner

The next step is to find a clinician or a practice you can trust to continue your patient’s care, maintaining the standards you have set. This means a referral centre with a highly trained and experienced clinical team, that delivers evidence-based dentistry utilising the latest technologies and materials in the profession for the best patient outcomes. It is also important to find a team you can build a relationship with, who ensures clear and concise communication that keeps you up-to-date with your patient’s treatment.

The Centre for Oral, Maxillofacial & Dental

Implant Reconstructive Surgery affords a range of highly advanced treatment procedures by referral, including full arch rehabilitation, treatment of failing implants and so much more. The clinical team is wellversed in an array of surgical and restorative techniques, and is supported by state-ofthe-art facilities and digital technologies. Led by the eminent specialist oral surgeon, Professor Cemal Ucer, they are an excellent choice to give your patients with complex needs the highest chance of success.

A hallmark of clinical excellence Referrals are a reflection of the collaborative nature of modern dentistry. Recognising the GDP’s boundaries by inviting specialists into the care team is a hallmark of professional judgement and of a genuine desire to provide the highest possible standard of patient care. Please contact Professor Ucer at ucer@icedental.institute or Mel Hay at mel@mdic.co

01612 371842

www.ucer-clinic.dental n

About the author professor Cemal Ucer, BDs, Msc, phD, fDTed, iTi fellow, specialist oral surgeon.

The importance of and opportunities afforded by mentoring

Mentoring is an essential element of every dentist’s development. Whether new to the profession or moving into a new, more advanced field – like implantology – the support and guidance of a mentor is instrumental to safely and effectively delivering patient care. When implemented correctly, mentoring has a transformative power over a clinician’s career.

The benefits explored

The NHS England Guide to Mentoring sets out a number of clear benefits afforded by effective mentoring. These include improved selfconfidence, increased learning opportunities, an expanded professional network, improved skill development and positive on-going career progression. In Scotland, the NEST Support through learning initiative highlights a similar need for continued training and mentorship as part of the dentists’ development.

Of course, the mentee is not the only one to take something away from the experience, with several advantages available to the mentor too. These consist of improved job satisfaction, increased peer recognition, broader perspectives, an expanded network and the opportunity to develop leadership skills. Mentoring has been proven to work in all manner of businesses, not just those in dentistry. A 2022 report suggested that 84% of Fortune 500 companies in the US implemented mentoring programmes. If it works for them, it will certainly prove useful for dental practices from a business perspective too.

Optimising mentor relationships

Mentoring should take a holistic approach to development, providing support at a level that is appropriate for the mentee. As the aforementioned guidelines point out, it is a two-way relationship that allows the exchange of information, experiences and expertise. It should focus on the future and be built upon over time.

To make the very most of the relationship, it is crucial that both parties are clear in their roles and expectations. Mentees must be proactive in identifying what they wish to learn and taking the time to implement suggestions from their mentor wherever appropriate.

Communication is also key. Discussions should be regular, open and honest as you get started, though the frequency of interaction may reduce as skills and confidence are built up. This is why is it so important to work with the right person – finding common ground through shared interests and priorities will ensure that the mentee and mentor are able to form a successful working relationship.

Clear boundaries

As already mentioned, it is crucial that both parties understand exactly what is expected of both of them as part of a mentoring agreement. A large part of this is establishing the objectives of the relationship while agreeing a timescale and the precise costs involved. For instance, this should include the mentor’s day rate if they are teaching in-person, whether their travel and accommodation expenses would need to be covered if they visit the mentee and so on.

The agreement should also factor in what kind of activities or support may be utilised by the mentee. For example, can they observe the mentor performing a live oral surgery case from in the surgery?

Can they live stream a treatment? Where will discussions about specific case planning take place? Can/should they deliver treatment to patients under direct supervision of the mentor?

All of this will need to be tailored to the type of dentistry being focused on. Clinicians early in their career will likely be working on more general dental skills, consolidating their learning from university and building on the basics. Those moving into new disciplines like dental implantology will need a primary mentoring programme that facilitates the recommended 10 mentored cases following postgraduate training in the field.

Finally, clinicians who are more advanced in their chosen field may need to focus their support to help them take on more complex cases as they develop highly advanced clinical skills. This secondary mentoring is often the most fluid as it will depend on the volume of relevant cases available to treat.

Maximising opportunities to grow Dr Charlie Evans, a member of the Clinical Team at Clyde Munro Dental, is a keen advocate for mentoring for dentists at all stages of their careers. He says:

“Mentoring is critical for clinicians to develop their skills. It can also help dentists

to learn a broad range of skills, including clinical and business capabilities. Accessing supervision and guidance from a more experienced dentist affords confidence that they are developing in the right way.

“This concept is integral to the support provided by Clyde Munro to all their dentists, which includes dedicated programmes for dentists fresh out of their VT year – the Best Foot Forward Programme – and those within 5 years of qualification – Flying Start Programme. We also have highly experienced mentors across the group who are dedicated to guiding colleagues via either primary or secondary mentorship programmes, collectively helping clinicians achieve the common goal of enhanced patient care through professional development.”

No matter what stage you have reached in your career, finding a trusted mentor is important to safely and effectively guide your future progression.

To find out more about the career development opportunities available at Clyde Munro, please visit https://careers.clydemunrodental.com/. 

About the author

Jo Hood. Head of Clinical Recruitment & Development at ClydeMunro Dental Group.

Keep revisiting your ‘why’

When you first decided to become a dentist, it started somewhere, sparked by something important. It might have been for the combined academic and practical challenge, financial reward, combination of science with artistry, a need to provide a vital service, parental/ peer pressure, the satisfaction of helping people – or any other number of reasons. Whatever your reason, that ‘why’ was your anchor. It motivated you through studies, exams and endless clinical practical hours. But fast forward… is it still the same ‘why’ that gets you out of bed each day?

The career pathways within dentistry can take you on a linear path or one that has more diversions, depending on your preferences. Understanding the reason(s) you enjoy your work and choose to progress in a particular way will always come back to your ‘why’ – it’s the root of your drive and passion. It’s important to think about this and re-evaluate your drivers regularly, whatever your profession.

I have a mix of pathways that I’m pursuing – from working in private practices, lecturing/ mentoring dental students, speaking engagements at global events and running my training business. These are all within my focus, the field of endodontics. I enjoy the variety and the mental stimulation each one provides. But underpinning everything are my two main reasons: supporting dentists to help patients; and nurturing and training dentists who are new to endo. Knowing which path you want to take is important, but it’s equally important to keep

an open mind as you go. Maybe you start out dreaming of being a general dentist and find yourself lecturing. Or perhaps you discover that you have a knack for the business side of running a practice. The point is, you won’t know until you explore. Every lecture, patient interaction, and new

“Trinket dentistry”

The late Colin Hall-Dexter introduced me to the phrase ‘Trinket Dentistry’. Colin, for those who never had the opportunity to meet him, helped hundreds of dentists and their teams through his ‘Introduction to private practice’ courses held in his compact Harley Street practice.

Colin shared the familiar options of introducing private dentistry to patients. In the dim and distant past, the main way was to introduce items of treatment – crowns, chrome dentures, composite fillings and so on as ‘optional’ or nonNHS. Colin himself had started this way in his 100% NHS practice in South London before realising, like most of us who followed in his wake, that having two streams of treatment was akin to riding two horses, a way to travel that was both uncomfortable and unsatisfactory.

technique you learn adds another piece to the puzzle of who you’re becoming as a professional. This exposure also gives you a broader outlook and more options.

The great thing about dentistry is that the learning never stops. There are endless opportunities to grow, from reading

It was the selling of these private items of treatment that led to Colin regarding them as trinkets. He had no problem with the communication involved in sales and selling, but he soon realised that persuading patients of the benefits of ‘things’ (trinkets) was not the right way for him to build his practice.

Colin shared a slide of dental scrap, a pile of failed crowns and bridgework, of partial dentures and precision attachments (you may need to ask an older person about these), of gold inlays and onlays. His point was clear – performing high-quality dentistry in low-quality mouths was doomed to fail.

So, his practice evolved to become focussed on prevention, where the role of the dental hygienist was absolutely central to the success of any and all treatments. Expensive or extensive work was not carried out in mouths where active disease was still present.

It was Colin who helped me to accept that I could look at patients for the long term, and that the cycle of decay, repair and eventual failure was not the routine. What did I want for myself, for my spouse and for our son? Why wouldn’t our patients want and deserve that?

My father and Colin had totally different backgrounds yet had a similar outlook.

My dad worked in sales from the age of 16, and had only two employers. He started in the W.H. Smith’s shop in his hometown of Neath in South Wales,

quality journals, attending webinars and conferences, to shadowing mentors or signing up for hands-on courses. There are courses happening across the world, giving you the chance to meet incredible people, and share experiences and skills.

So, as you map out your journey, remember that your ‘why’ isn’t fixed, it evolves as you do. Keep checking in with yourself. What excites you? What kind of impact do you want to make? What skills are you eager to learn?

The beauty of dentistry is that there are endless paths to take and as long as you’re guided by curiosity, compassion and a genuine love of learning, you’ll find any number of opportunities that will keep your spark alive – or trigger new ones.

Learning opens doors. Growth happens when you stay curious. Say yes to opportunities, and let yourself be surprised by what you enjoy. n

About the author

Dr Dhiraj Arora BDs MJDf rCs (eng) Msc (endo) pG Cert Ce owner of evo endo, with three practices (limited to endodontics) in Twickenham, Gerrard’s Cross and slough. Dhiraj is a passionate teacher and ambassador for all things endo. follow him on instagram: @drdij_evoendo

and retired nearly 50 years later when he was the UK & Ireland sales director of a book publishing and stationary manufacturing company, Glasgowbased but with worldwide branches. I asked him once (to my mother’s horror) if he was a travelling salesman. He replied that he was a representative of ‘William Collins, Sons & Company’ and their products didn’t have to be “sold”. When I wanted to know how that worked he explained that he had a good relationship with his customers, who were a mix of retailers and wholesalers. When he visited them he checked how they were getting on with anything that the company had supplied and then introduced them to new products. He would explain the features and benefits and welcome any feedback.

“Is it hard work?”

He said that he knew that the products were good, the company’s reputation was sound and he had spent time building and maintaining good relationships with the customers.

“So you are a salesman then?” I asked.

His reply has stuck with me for nearly 60 years because, like all fathers, he repeated these maxims regularly.

“A salesman only cares about the transactions, I work by having good relationships with my customers. It’s the only way to be successful, and to enjoy your work, day after day, year after year. They must trust you,

what you do and how you do it. Most importantly, you need to be able to act when things go wrong – which in this life, will happen when you least expect it. The trust can take a while to establish but once formed, like all relationships, it needs to be maintained, must never be taken for granted and will survive an occasional blip. You will sell more by listening than talking, by knowing and understanding the customer and their customers, their situation, the pressures they have and their hopes and desires.”

He concluded, “That all takes time, hard work and perseverance. But, it’s never boring.”

I realise that with improvements in dental health comes more emphasis on the provision of ‘optional’ items, from whitening, through to full smile makeovers, facial aesthetics and what some would have once included in the field of cosmetic and plastic surgery. This brings with it the need for firstclass communication and for top notch knowledge of one’s self, the patient and the products. Accompanying this is the ability to say no, to not ‘make a sale’ this time if it is not appropriate. Also essential is to know that there is a line between professional treatment and dental trinkets, which your marketing, sales and conscience must understand and respect. Both Colin and my dad would have agreed on that. n

Rising for change against domestic abuse

October was Domestic Abuse Awareness Month. Did you know that domestic abuse in England and Wales alone costs industry approximately £66 billion (HM Gov, 2019)? Or that one in three workers have experienced domestic abuse (Vodafone, 2021)?

BADN supports EIDA – Employers’ Initiative on Domestic Abuse (www. eida.org.uk) and have our own Domestic Abuse policy for practices to adopt. We do occasionally take calls from dental nurses who are experiencing domestic abuse and, so, the BADN staff (Val, Jacek and myself) recently attended a 3.5-hour online training session provided by Rise for Change, and developed for them by the Vodafone Foundation – Allies Against Abuse: Supporting Survivors of Domestic Abuse at Work. Rise for Change is the training arm of Hope After Harm. They provide training programmes on domestic abuse, sexual harassment and ‘trauma-informed training on genderbased violence for professionals in all sectors, actively promoting self-reflection, critical thinking and survivor voice to affect sustainable, inclusive change.’ Hope for Harm is an established, registered charity aimed at empowering adults and

young people to recover from harm and trauma, and envisaging a society where everyone feels safe and can thrive, regardless of who they are and where they come from.

Abuse is a choice and the underlying cause of abuse is the need to exert power and control over another person

The Vodafone Foundation has, for more than 15 years, used technology to support victims of domestic abuse. Their Bright Sky app and website enable survivors in13 countries and multiple languages to safely access advice, locate support services and find pathways to safety. Vodafone became the first global company to

launch a domestic violence and abuse policy in 2019, including paid safe leave, specialist referrals and workplace safety plans for employees affected by domestic abuse. In 2024, Vodafone partnered with Rise for Change to deliver the Allies Against Abuse training we recently undertook. And I was very pleased to also see a dental practice attending the same training session! Domestic abuse is defined as ‘any incident or pattern of incidents of controlling, coercive or threatening behaviour, violence or abuse between those aged 16 or over who are or have been intimate partners or family members regardless of gender or sexuality.’ This can include: psychological, physical, sexual, financial, emotional and technological abuse and/or coercive control.

In fact, the training makes it very clear that abuse is a choice and the underlying cause of abuse is the need to exert power and control over another person – not by anger/drug/ alcohol/mental health issues or by being subjected to abuse as a child as many people mistakenly think. (Some 40 years ago in Bermuda, I trained as a Rape Crisis Helpline Counsellor and learned then that rape and sexual assault are about power and control, not about sex!)

As many in dentistry are aware, BADN President Preetee Hylton is herself a survivor of – and a prominent speaker on – domestic abuse. We at BADN would encourage all practices to download and adopt our domestic abuse policy; to join EIDA – its free; and to train staff to recognise signs of domestic abuse in patients and colleagues, and to know what – and what not – to do to support them.

For more information on the training course we took part in, visit hopeafterharm.org.uk

Or contact Cara Donald, Training Manager at Rise for Change on r4c@hopeafterharm.org.uk n

About the author pam swain MBe is Chief executive of BADn

Why supporting practice managers is good business

In September, I had the privilege of speaking at the BDIA Summer Conference at Silverstone – a venue as iconic as the moment felt. But what truly made the experience unforgettable wasn’t the location. It was the audience. For the first time, I wasn’t speaking to dental practices. I was speaking to the industry – suppliers, manufacturers, and service providers. And that shift stirred something unexpected in me: emotion.

For over a decade, I’ve supported ADAM (the Association of Dental Administrators and Managers) and advocated for practice managers (PMs) across the UK. I’ve mentored, trained, and championed those who keep dental practices running. But standing on that stage, I realised how deeply passionate I am about explaining what we actually do – and why it matters.

reality behind the reception desk

My presentation, titled Beyond the Smiles: A Day in the Life of a Dental Practice Manager, opened with a snapshot of my morning: WhatsApp from the principal dentist, a sick receptionist, a broken card machine, a barking dog, and a daughter at university asking for money. It’s not glamorous. It’s not clinical. But it’s real. From the outside, PMs might seem like the people who manage rotas, order gloves, and keep the CQC folder tidy. But, in reality, we’re the glue holding the business together. We’re the translators between clinical and commercial. The fixers when things go wrong. The quiet decisionmakers who keep the wheels turning.

Throughout the day, we juggle late staff, broken equipment, double-booked diaries, supplier negotiations, marketing strategies, and financial reviews – all while keeping patients cared for and the team motivated. It’s multitasking, yes. But with a commercial twist.

The many faces of a pM

One of the key messages I wanted to share with the industry is that not all PMs are the same. Some focus on reception and rotas. Others manage HR, payroll, compliance, and marketing. Some are full-blown business directors overseeing multiple sites and driving strategic growth. But, regardless of scope, every PM wears multiple hats:

• Reception lead, ensuring smooth patient flow

• Compliance officer, keeping the practice inspection-ready

• Accounts manager, tracking budgets and chasing invoices

• HR advisor, navigating contracts and team dynamics

• Marketer, boosting patient acquisition and brand visibility

• Business developer, identifying growth opportunities and negotiating with suppliers

We influence purchasing decisions, operational strategy, and long-term partnerships. And when things go wrong – like the suction unit shutting down midtreatment – we’re the ones diagnosing the issue, calling the supplier, and getting the day back on track. It’s not in the job description but it’s the job.

Why ADAM matters

This is where ADAM comes in. ADAM isn’t just a support network – it’s a professional backbone for PMs across the UK. It provides:

• Training and resources across reception, compliance, HR, marketing, and finance

• Templates and toolkits to streamline operations

• Peer support for navigating leadership pressures

• Recognition and development for PMs at every level

And for suppliers? ADAM is your gateway to understanding the real needs of the people who keep practices running –and buying. Supporting ADAM means supporting the people who influence your sales, your retention, and your reputation.

Building better supplier relationships

I shared two supplier stories during my talk. One delivered the wrong gloves and blamed us for the error. No apology. Just policy. That cost them our loyalty.

Another supplier – same mistake but they apologised, sent a same-day courier, and included a box of biscuits “for the team”. I don’t remember the error. I remember the care.

That’s the difference. We don’t expect perfection. We expect partnership. If you want to support PMs:

• Be brief, be honest, be human

• Think about the impact of what you sell, not just the product

• Understand that PMs are often the quiet decision-makers

• Build trust – and we’ll build loyalty

The heartbeat of dental business

By 7:34pm, I’m home. One dog asleep on my lap. My daughter’s messaged to say thanks for the parcel – and yes, she still needs that money. I’m replaying the day in my head: complaints handled, dentists’ mood swings navigated, supplier issue sorted, marketing campaign launched, monthly figures reviewed and the dodgy compressor is living to see another day. No one outside the practice will ever truly understand what it took. But if even one person left that room with a deeper respect for what a practice manager really does – and how ADAM helps us do it better – then it was all worth it.

Support ADAM. Support PMs. And you’ll be supporting the very heartbeat of dental business.

And Silverstone? After my go on the Scalextric and race simulator, I will definitely be sticking to the day job! n

About the author Lisa Bainham is president at ADAM and practice management coach at practice Management Matters.

Elemental Antibacterial Wound Dressing

A Revolution in Bone Graft Protection

Minimise Complications and Improve Healing Conditions In Mucogingival and Implant Surgery

Leveraging the antibacterial and wound-healing properties of zinc ions, Elemental can be used post-operatively with or without a membrane.

Elemental activates when in contact with boiling water, and the resulting material, which sets rigid and stable, can be quickly and easily moulded and shaped according to the needs of the patient.

A place for everyone

There’s never been a better time to become a member of the British Society of Periodontology and Implant Dentistry (BSP) and join us in Edinburgh for The Oral Health Summit!

Whether you’re an undergraduate student curious about your future, a dental care professional wanting to stay ahead of the curve, a general dental practitioner looking to refine your clinical skills or a specialist passionate about lifelong learning — there’s a place for you within the BSP. We are a welcoming community that is passionate about improving patient care and developing professional growth at every level. As a member, you will have access to a wealth of resources, allowing you to explore the latest in periodontal and implant research. Benefits include a monthly newsletter, an annual magazine, regular news and event updates, free educational webinars and discounted rates to attend our handson masterclass events and annual Conference. Members also benefit from online access to the Journal of Clinical Periodontology.

The Early Career Group (ECG) is a committee of specialist trainees, general dentists, dental hygienists and dental therapists at the early stages of their careers. This unique community is driven to support, educate and represent students/trainees and early career professionals. They help bridge the gap between those at the beginning of their professional journey and the wider periodontal community. They provide many opportunities to gain experience and create a strong network within the BSP and beyond.

The BSP is delighted to announce that from Thursday 27th November 2025, we have The Oral Health Summit in Edinburgh – a vibrant and historic city that is the perfect location for 3 days of learning and networking. This year, the Conference will be truly unique, as it will be held jointly with the BSDHT (British Society of Dental Hygiene and Therapy), uniting our worlds all under one roof to help increase our knowledge and skills. Taking place at the prestigious Edinburgh International Conference Centre from 28th to 29th November 2025 (with additional BSP workshops and symposiums on 27th November) the event will offer a dynamic scientific programme, exploring topics such as perio-systemic connections, risk profiling, regenerative techniques, and supportive care. It is the perfect occasion to socialise with likeminded people and learn from the best. However, the Conference is more than continuing professional development - it’s also about making connections. That is why we are especially excited for the ECG social evening in Edinburgh on Thursday 27th November at Boom Battle Bar. The night promises welcome drinks, a buffet style dinner and a fun game of interactive darts. It will surely be an unforgettable evening — a chance to relax, laugh and get to know colleagues outside the lecture theatre.

Alongside our Conference programme, BSP is proud to be at the forefront of evidence-based practice. We have contributed to the S3 Stage IV papers, providing recognised guidance for the management of the disease. More recently, we have led the development of the S3 guidelines for dentine hypersensitivity, hosting a two-day consensus meeting at the prestigious Kew Gardens in September. The workshop brought together a diverse and inclusive panel of oral healthcare professionals—including dental nurses, dental hygienists, dental therapists, general practitioners, academics, and both private and NHS specialists—as well as external experts in medicine, behavioural science, pain, and quality of life, alongside key stakeholder representatives and members of our Patient Forum.

Based on the scientific conclusions from this meeting, the BSP will produce an S3-level clinical practice guideline. This will offer oral healthcare professionals around the world precise therapeutic pathways tailored to individual patient diagnoses, along with evidence-based recommendations for specific interventions to achieve optimal outcomes in the treatment of dentine hypersensitivity.

The BSP members also benefit from the Society’s Patient Forum. This group of patient volunteers provide invaluable insights into patient perspectives, ensuring our care remains patient centred. A key part of successful periodontal management involves patient behavioural change and educating the patient. As healthcare professionals, our biggest aim is to ensure our patients are happy at the end of our treatments. What better way to know what most concerns our patients and exactly what they want, than to have our very

own patient forum to help educate us. This collaborative approach not only strengthens our profession’s voice but enables us to build trust and transparency with the public.

Gum Health Day is an important date in the BSP calendar. This public-facing initiative helps raise awareness of periodontal and peri-implant diseases and their wider links to general health. By becoming a BSP member we welcome you to participate in our initiatives and help raise awareness of the importance of gum health.

BSP continues to help shape the future of dentistry. We represent our members at the highest levels, with strong engagement at key stakeholder meetings with organisations such as the Office of the Chief Dental Officer and the General Dental Council. We ensure that the voice of our members and patient community is heard and help shape national oral health policies.

A flagship event in the BSP calendar is EuroPerio – the world’s leading congress in periodontology and implant dentistry, organised by the European Federation of Periodontology. This year, EuroPerio 11 took place in Vienna in May. The congress featured a rich and varied scientific programme, including live surgeries, interactive sessions, with more than 150 top speakers from all over the world - truly offering delegates a strong sense of being part of the global periodontal community. EuroPerio12 will be held in Munich, Germany in 2028 – an event not to be missed!

The BSP and ECG have held many successful masterclass events, including mucogingival surgery, crown lengthening and MINST (Minimally Invasive Non-Surgical Treatment) workshops. The ECG has also collaborated with the SRRDG (Specialist Registrars in Restorative

Dentistry Group) to hold joint study days, which have developed many clinicians’ wealth of knowledge and experience. These events are designed to build confidence in advanced techniques and spark innovative discussions within our community. By joining the Society, you automatically become a member of the BSP family and experience firsthand the supportive, collaborative atmosphere that the BSP creates. The opportunities that we provide give the chance for young practitioners to meet people who are not only knowledgeable but also genuinely willing to share advice and experience, all of which make a huge difference to young professional’s development. Events like The Oral Health Summit and ECG socials are where lifelong mentors, collaborators, and friends are made.

Membership of the BSP gives you more than access to world-class events. It offers discounted conference rates, exclusive webinars, cuttingedge research, educational resources, hands-on masterclass events, and a gateway to a professional network that spans the whole dental community.

So, wherever you are in your journey — whether you’re an undergraduate, dental hygienist, dental therapist, general dentist or specialist — we invite you to become part of the BSP family. You won’t just be joining a Society; you’ll be joining a movement focused on excellence, innovation, and meaningful connection.

We look forward to seeing you in Edinburgh! n

About the author Dr Chandni shah, Chair of the Bsp early Career Group.

X THE FACTOR

AN XTRA POWERFUL TEAM:

Perfectly coordinated products with easy and efficient application for safe and aesthetic results for direct restorations!

BONDING

Universal all-in-one adhesive for all techniques

FILLING

Fluoride-releasing composites for multiple indications

POLISHING

Superior finishing and polishing disks

Case 1: Anterior tooth restoration with composite
Case 2: Posterior tooth restoration with composite
Restorations with BEAUTIFIL II LS, BEAUTIFIL Flow Plus X and OneGloss by Erik-Jan Muts, M.Sc., Netherlands

The pledge

Safeguarding the future of dentistry

This October we marked World Mental Health Day, a day recognised by the World Health Organisation (WHO) that reminds people of the importance of good mental health and the need to prioritise and invest in personal wellbeing. I am a huge advocate for this – for my colleagues and all those who work within the oral healthcare sector.

Recently, I was proud to represent both Dental Protection and The MPS Foundation at the recent FDI World Dental Federation (FDI) Congress, and be the first signatory on the Pledge to support the mental health and well-being of dental students on their behalf. Being a signatory isn’t just symbolic. It represents a genuine commitment by Dental Protection and The MPS Foundation to change how the profession supports its youngest members and protects their futures.

What is the pledge?

The pledge is a key milestone of a wider FDI Project funded by The MPS Foundation, which aims to tackle stress and anxiety in dentistry. The project goals include:

• Raising awareness of mental health challenges within dentistry.

• Developing resources to support dental healthcare professionals worldwide.

• The pledge includes commitments to:

• Equip educators with tools to identify and address students’ mental health concerns.

• Prepare students for the transition from university into practice, including stress management and self-care strategies.

• Provide tailored support services specifically for dental students.

• Ensure students on clinical placements have access to mental health resources.

Why the pledge matters

Dental Protection surveys globally have revealed the scale of the challenge the profession faces and a growing mental wellbeing crisis. A significant proportion of clinicians report feeling exhausted and burnt out but continue to work as they feel unable to take time off.

The consequences can be significant:

• Some consider leaving the profession within years of graduating. More dentists are retiring early as the pressures of practice become insurmountable.

• Many clinicians have said that working while struggling mentally has led to reduced concentration, diminished empathy, and increased fear of errors.

• In one survey, 34% of the participants believed their mental health difficulties may have contributed to a lower standard of care.

Therefore, steps to improve wellbeing in the profession not only looks after our members’ health – it has the potential to retain clinicians in the profession and provide better standards of patient care. For us, fewer errors mean fewer members at risk of complaints and claims.

Why the focus on students –and why now?

It all boils down to ‘prevention is better than cure’.

Many organisations, including Dental Protection, provide wellbeing support for the wider dental profession. But a missing piece of the puzzle has been starting at the beginning of the journey and being proactive, rather than reactive when addressing wellbeing concerns.

The need for student support is clear:

• Studies globally show more than 50% of dental students experience high stress during training.

• In their final years, many are already showing signs of burnout.

Imagine starting a career already close to exhaustion – only to find that the pressures increase in practice.

Students now not only face constant examinations and assessment of clinical skills, but have huge financial concerns, unprecedented expectations to excel, toxic peer pressure to have a social media presence whilst struggling to find sufficient patients to allow them to meet their clinical targets. Many feel isolated and scared to ask for help for fear of being seen as a ‘failure’.

Our future dentists need early support and tools to ensure they are able to thrive, rather than just survive.

The MPS Foundation is committed to supporting the wellbeing of healthcare professionals and reducing burnout. Two recent research publications show poor wellbeing and burnout is associated with more adverse events, patient safety events and lower professionalism meaning more complaints and claims for us.

We have already supported a number of medical and dental projects that focus on the causes of poor wellbeing and burn out as well projects that explore what works. More details of our projects can be found at: https://www.thempsfoundation.org/ourresearch/case-studies

By signing the pledge, we are doing more than acknowledging the problem. We are committing to being part of the solution: supporting dental students from the very beginning of their journey.

The pledge is an opportunity to shift the culture of dentistry – one that has historically prioritised resilience over wellbeing – towards one that recognises that healthy clinicians provide better, safer care. n

About

author

Professional pride in dentistry

The importance of professional pride in dentistry cannot be overstated. It’s the quiet force behind every confident diagnosis, every reassuring conversation, and every seamless patient journey. Professional pride is about doing your job with purpose, integrity, and excellence. In my experience, when dental professionals consistently show up at their best, the impact ripples far beyond the surgery doors.

Defining professional pride

Professional pride is the internal commitment to uphold high standards, take ownership of your role, and contribute meaningfully to your team and patients. It’s about caring deeply about outcomes and the process, the people, and the principles that guide your work.

In dentistry, this manifests in countless ways: maintaining impeccable infection control, staying current with clinical guidelines, communicating clearly with patients, and supporting colleagues with respect and reliability. Professional pride doesn’t mean you have to be the perfect dental professional all the time, but it does mean being present, prepared, and purposeful – showing up at your best.

Why showing up at your best matters

Dentistry is a profession that demands both technical precision and emotional intelligence. For many patients, a visit to the dentist can evoke anxiety, fear, or vulnerability. That’s why the way clinicians and support teams show up each day matters so deeply. When professionals bring empathy, confidence, and consistency to their roles, they create a safe and reassuring environment where patients feel heard, respected, and cared for. This trust becomes the foundation for long-term relationships and improved health outcomes.

At the same time, the clinical side of dentistry leaves no room for complacency. From diagnostics to treatment, every detail counts. Professional pride ensures that dental teams remain vigilant, never cutting corners, always striving for excellence. It’s this commitment that separates routine care from truly exceptional care. When every member of the team is aligned in their standards, the practice benefits from reduced errors, enhanced compliance, and better patient results.

Beyond the clinical and emotional aspects, professional pride also shapes the culture within a dental practice. Teams that value excellence encourage mutual respect, accountability, and collaboration within the practice. When individuals consistently show up at their best, they set a tone that others naturally follow. This creates a workplace where people feel motivated and supported, and that cohesion directly enhances the patient experience. A well-functioning team delivers smoother, more compassionate care – something patients can feel from the moment they walk through the door.

Every interaction matters. From the first phone call to the final follow-up, the patient journey is shaped by how each team member shows up. When professionals take pride in their work, patients notice. They sense the difference in how they’re greeted, how their concerns are addressed,

and how their treatment is explained. It’s this attention to detail and genuine care that transforms a routine appointment into a trusted relationship.

Moreover, professional pride fuels growth and innovation. Those who care deeply about their work are naturally curious and open to learning. They embrace new technologies, seek out development opportunities, and contribute to continuous improvement. In a field like dentistry, where advancements in digital tools, materials, and techniques are constant, this mindset is essential. It keeps practices competitive, relevant, and capable of delivering cutting-edge care.

Recently, I took a moment to reflect on my own journey as a dental nurse. From my early days in the military, through practice management and clinical support, to now leading clinical services, I feel a deep sense of pride in how far I’ve come. The experiences I’ve been through, the challenges I’ve faced, and the people I’ve worked alongside have shaped not only my career but my character.

I remember the long hours, the steep learning curves, and the moments of doubt. But I also remember the breakthroughs, the patient smiles, and the sense of fulfilment that comes from knowing you’ve made a difference. The sense of pride I felt is as much about the journey, the growth, and the unwavering commitment to showing up at my best, every single day, as it is about titles or achievements.

Professional pride is something you nurture over time and with daily practice. Here are a few ways to embed it into your daily routine:

• Start with purpose: Reconnect with why you chose dentistry. Whether that was helping people smile with confidence, or improving health outcomes, let that purpose guide your day.

• Prepare with intention: From clinical notes to patient interactions, thoughtful preparation shows respect for your role and those you serve.

• Reflect and reset: At the end of each day, ask yourself: Did I uphold the standards I believe in? What can I do better tomorrow?

• Celebrate excellence: Recognise moments of outstanding care, yours and your fellow team members. It reinforces pride and progress.

• Lead by example: Whether you’re a clinician, manager, or support staff, your actions influence others. Be the standard you want to see.

In dentistry, professional pride is a necessity. It’s what transforms a good practice into a great one, and a routine appointment into a meaningful experience. By showing up at your best every day, you honour your patients, your profession, and yourself. So tomorrow, and every day after, ask: What does my best look like today? Then, show up. Your patients will feel the difference. Your team will feel the difference. And most importantly, you will feel the difference. n

About the author

Dental Protection

We’ve been there.

The pressure.

The pile up of problems.

the days when it feels too much

The long running battle with burnout.

And then a patient complaint, or a claim, or a disciplinary, gets thrown into the mix.

As dentists, solicitors, case managers and more, we bring our experience to helping you navigate whatever follows.

Our discretionary indemnity gives us the flexibility to help even in the most unusual circumstances. And whatever it takes, no matter how complex the legal challenge, you can depend on us to support you through it.

Sonic boom!

Using a toothbrush twice a day is the recommendation for a consistent standard of oral hygiene. However, using a traditional toothbrush may lead to patients brushing quicker than the preferred two minutes, or even holding the brush in their mouth whilst they are distracted doing something else. This interrupts the daily dental care routine and leads to sub-optimal results.

An electric toothbrush is a superior alternative and has demonstrated a greater reduction in plaque, both short and long term, when compared to a manual brush. This leads to a reduced risk of caries, periodontal diseases and edentulism. In the UK, the majority of adults still favour a traditional toothbrush but, of those that have switched to an electric one, 63% cited the more effective cleaning outcomes as a reason for their change. This suggests that there is a large audience of patients who would change to an electric toothbrush if presented with the benefits of using one.

enter Curaprox

The Hydrosonic Pro from Curaprox is a toothbrush like no other. Developed with the input of dental professionals, it is optimised for long-lasting oral hygiene results yet still remains the smooth, professional aesthetic that sets Curaprox products apart from the competition. Whether for use in the bathroom or on a person’s travels, the Hydrosonic Pro uses a simple onebutton system to switch between seven cleaning modes, reaching up to 84,000 brush movements per minute.

To further tailor the experience to the patient, it comes with three specialised brush heads: Power, Sensitive, and Single. Fitted with the Power head, the Hydrosonic Pro utilises its ultrafine Curen filaments to remove food

debris and harmful bacteria from the tooth surfaces. For those who require more tactful attention, perhaps due to inflamed gingivae, the Sensitive head performs a gentler cleaning operation. The Single head fitting is ideal for more targeted plaque removal, such as around implants, orthodontic appliances and other hard-to-reach areas.

Along with the innovative simplicity of the design, the Hydrosonic Pro packs power into its 60-minute battery life. This enables up to two weeks of brushing per full charge when adhering to the recommended toothbrushing routine. With a durable travel case included and a USB charger, taking the Hydrosonic Pro on holiday is easy, maintaining consistency in the daily oral hygiene routine.

Back to black

For an even more stylish option, consider the Black is White Hydrosonic toothbrush. Retaining the same battery power and design, it is encased in an irresistible matt black aesthetic and complimented by neon pink lighting for a visually pleasing experience. The one button operation guides patients through three power levels whilst the Curen filaments on the brush heads are coated with activated carbon particles. As well as offering comprehensive cleaning power, the brush heads also support effective tooth whitening, with the activated charcoal removing discolouration. This makes the Black is White Hydrosonic toothbrush a reliable solution for cleaning around braces, dental implants and restorations, helping to maintain consistency with the brightness of a smile.

With the reliable power and tailored settings and fittings of a Curaprox Hydrosonic toothbrush, patients can begin and end each day with a fresh smile, reducing the risk of oral disease for a happier and healthier life.

To arrange a Practice Educational Meeting with your Curaden Development Manager please email us on sales@curaden.co.uk

For more information, please visit curaprox.co.uk and curaden.co.uk n

Trusted for decades

At Eschmann, we’re proud to be known as the experts in decontamination. Our products and services are designed to help teams achieve compliance with ease. We also combine quality and affordability, delivering value that is hard to beat.

However, we don’t expect you to just take our word for it. Here is what our customers have said about our products and services…

Built to last Eschmann equipment is designed for reliability and efficiency, but it is also built to last. Dawn Saunders, Practice Manager at Clark Dental Studio, comments on the Eschmann Little Sister autoclaves in her practice – both of which kept working for an astounding two decades:

“Our practice – which operates five busy surgeries – purchased two Eschmann SES Little Sister 3 autoclaves and affectionately named them ‘Ant’ and ‘Dec’. Nearly 21 years later, ‘Ant’ remains fully operational, while ‘Dec’ lasted an amazing 20 years.

“Throughout these years, we have consistently received outstanding service from Eschmann. Their maintenance of our sterilisers has been exemplary, characterised by professionalism, attention to detail, and prompt response times. The team’s knowledge and efficiency ensure that our equipment always operates at peak performance. We highly recommend Eschmann for their exceptional service and reliability.”

optimising operational efficiency

To help keep equipment operating smoothly for longer, the Eschmann Care & Cover programme provides comprehensive maintenance, servicing and validation. We currently have more than 8,000 service contracts with dental practices across the UK, with a huge 99% renewal rate.

Designed to support in-practice equipment care and maximise workflow efficiency for the team, it includes:

• Annual Validation and PSSR certification

• Annual service & software upgrade

• On-site support from our team of over 50 specifically trained engineers

• Unlimited breakdown cover

• Unlimited Eschmann parts & labour

• Enhanced CPD User training

• Technical & User telephone support

Maxine Northall-Rollins, stock controller at Scott Arms Dental Practice in Birmingham, had nothing but praise for the Eschmann decontamination equipment and service she has received for many years:

“We have had some of our Little Sister autoclaves for well over 10 years now and have been really happy with them. We protect our autoclaves with the Eschmann Care & Cover servicing and maintenance package, which has also been great. All our autoclaves are added to the service contract – we wouldn’t even think of not having them covered. It’s good to have the backup, knowing that someone will come in every 12 months to check over the equipment. They find and fix any small issues before they become much bigger problems, and the peace of mind this provides is brilliant. As such, I would unreservedly recommend Eschmann products and the Care & Cover service package to others.”

support you can depend on Beyond the Care & Cover maintenance services, Eschmann is committed to delivering exceptional customer support. This is available in the form of an easyaccess telephone support line, expert advice, bespoke recommendations and a fast response to equipment queries from highly trained and talented engineers. Dr Hari Lal BDS MFDS RCPS (Glas), dentist at Main Street Dental Care, in the south side of Glasgow, shared his experience of the support he has received from Eschmann:

“The servicing for our Eschmann autoclave and washer disinfector is provided through the outstanding Eschmann Care & Cover package. On the occasions we require support, Stephen Boyle [Regional Commercial Manager] and Owen Clarke [Field Service Engineer] have gone above and beyond. They fully understand the importance of customer service.

“I would 100% recommend Eschmann to other practices. The support is exceptional. Stephen was instrumental in the relocation of my dental practice, assisting with the design of the local decontamination unit and its equipment, and the continued support from Owen is priceless. They are a great team to work with in the running of my dental practice.”

Here for you

Whether you are designing a new decontamination room or upgrading your equipment, Eschmann provides the solutions and support you need for success. Contact us to learn more. For more information on the highly effective and affordable range of infection control products from Eschmann, please visit www.eschmann.co.uk or call 01903 753322 n

The toothbrush to beat

Enhancing smiles

From Direct to Indirect – Shaping smiles with art and knowledge

GC’s minimally invasive restorative solutions can take you from small direct restorations with a big aesthetic impact, to a range of conservative indirect restorations, including injection moulding, veneers and crowns - in collaboration with a dental lab.

Discover more:

Are you recommending water flossing?

When discussing their oral hygiene routine, what do you recommend to your patients?

Toothbrushing twice daily is a given, though you may advise looking into an electronic solution over a manual.

Similarly, clinicians will want to encourage effective and regular interdental cleaning – this is now a more common habit in the UK, with a 2017 report showing that 62% of adults regularly clean interdentally, as compared to just 19% in 2007. The solutions that patients use for this, however, can have a big impact on its success.

A 2025 survey found that almost four in five (79.9%) of UK dental professionals recommend water flossing as an interdental cleaning solution to their patients – and Waterpik™ was crowned the #1 water flosser brand recommended by dental professionals.

a

natural power

Understanding what makes water flossing and solutions from Waterpik™ so popular is key, with more choice for oral hygiene adjuncts than ever before.

Dental professionals primarily recommend water flossing due to improved oral hygiene, with improved suitability for individuals lacking dexterity, undergoing orthodontic treatment, or those with restorations such as implants, crowns, bridges and veneers also being prominent factors. The 80+ clinical research papers informing dental professionals of the Waterpik™ solutions’ capabilities agree; each water flosser from the brand removes up to 99.9% of plaque from treated areas in as little as three seconds. This is especially important when targeting deep below the gingival margin or in interproximal spaces that regular toothbrushing cannot reach alone.

Patients also benefit from Waterpik™ water flossers being up to 50% more effective for improving gum health when compared to traditional dental floss. This can lead to reduced bleeding and inflammation, improved aesthetics, and greater longevity of the natural dentition.

What makes a Waterpik™ solution, like the all-new Cordless Pulse water flosser, stand out amongst the array of choice in an ever-developing market?

Not only does it use unique Waterpik™ PRECISIONPULSE™ technology to deliver an effective combination of water pressure and pulsations, whilst maintaining a compact, easy-to-store design, but it comes from the only water flosser brand to be approved by the Oral Health Foundation

(OHF). This gives clinicians additional confidence in its safety and effectiveness.

With many alternatives online not featuring the same research or backing from renowned institutions, it just makes sense to recommend by name – because not all water flossers are equal.

supporting more patients

Waterpik™ solutions can be recommended based on a patient’s unique needs, for an individualised experience. For example, cable-free solutions like the Cordless Pulse or the Cordless Plus, which feature a 360-degree rotating tip, can help patients access more areas of the dentition, including teeth in the posterior. This increased access means patients can have greater control over their routine, which can help if traditional floss or interdental brushes are tough to manoeuvre.

Unique flossing tips also aid those with specific needs. The Ultra Professional water flosser is an advanced solution that comes with 5 tips, including the Orthodontic Tip which makes the Waterpik™ solution up to 3x as effective as traditional dental floss for cleaning around braces.

The Plaque Seeker™ Tip, available with solutions such as the Cordless Advanced water flosser, is designed to support patients with implants. It’s use ensures the water flosser is up to 2x as effective as traditional dental floss for improving gum health around implants, with potential benefits for aesthetics and longevity.

Why hesitate?

We know that almost 80% of dental professionals recommend water flossing – but why is this not 100%? The primary reason given is simply a lack of familiarity with available solutions. With a greater understanding of the abilities of Waterpik™ oral hygiene adjuncts, patients can be better supported with water flossers that suit their needs.

Find out more about the #1 water flosser brand recommended by dental professionals by contacting the Waterpik™ team today.

For more information on WaterpikTM water flosser products visit www.waterpik.co.uk. WaterpikTM products are available from Amazon, Costco UK, Argos, Boots and Tesco online and in stores across the UK and Ireland. n

Next-level implantology

The most innovative full-arch smiles

BioHorizons Camlog Group continues to drive innovation in the implant field with revolutionary research and knowledge surrounding implantology. With immediate dental implant placement posing multiple advantages in the right cases, BioHorizons Camlog Group has created new, exceptional solutions to streamline workflows whilst preserving bone and gingival tissues. By optimising each step for full-arch restorations, BioHorizons Camlog Group is helping clinicians to elevate outcomes and create a remarkably more comfortable patient experience. With immediate dental implant placement posing multiple advantages in the right cases, BioHorizons Camlog Group continues to drive innovation with advancements in full-arch workflows. New additions to the Tapered Pro Conical system help clinicians streamline their fullarch workflows even more whilst preserving and bone and gingival tissues.

delivering confidence with fullarch freedom

With new solutions and concepts, fullarch workflows are constantly getting simpler, faster, and smarter. Based on the deep conical design of Conelog, and the Tapered Pro body from BioHorizons, the revolutionary conical connection is now here from BioHorizons Camlog Group.

The new Tapered Pro Conical implant system possesses exceptional features, including:

• Laser-Lok® surface that encourages soft tissue attachment, and the reduced collar diameter preserves vital bone

• Long conus conical to reduce micromovements

• 6-cam connection for flexible abutment orientation options and optimal restorative convenience

• Flat implant shoulder to reduce vertical discrepancy

• Platform-switching to preserve the crestal bone and deliver aesthetic outcomes

• End cutting, self-tapping, helical cutting flutes for controlled placement

• Deep, buttress threads to provide primary stability

What truly elevates this system are two revolutionary additions.

taking innovation to the next level

The new 3.8mm diameter implant on a regular platform means clinicians now require fewer components, have simpler workflows, and faster planning access

– ideal for streamlining immediate fullarch cases where time, efficiency, and precision are integral.

The 3.8mm comes with two connection options – narrow and regular, which further boost prosthetic flexibility, particularly in cases where bone volume is limited or where specific implant sizes are necessary due to anatomical structures. Having two different options for the 3.8mm means fullarch cases can be performed with a single prosthetic platform, making each abutment interchangeable across all implant sites. Not only does this reduce chair-time, but leads to a decreased risk of mismatched components, and even a faster prosthesis fabrication turnaround.

the breakthrough direct-toMUa screw

Elevating efficiency and retention in full-arch workflows, the new addition of the direct-tomulti-unit screw from BioHorizons Camlog Group now simplifies this process even further Designed to secure zirconia, PMMA, and 3D printed restorations directly to a multi-unit abutment, the advanced design comes with multiple innovative features:

• No requirement for an intermediate component like titanium bases or a coping

• Precise angulation – screw channel angulation of up to 25°

• Flat screw seat for optimal load distribution, reducing the risk of damage

• Enhanced screw diameter for optimal force distribution

• Gold anodised for improved aesthetic in anterior zones with a thin restoration wall This innovation reduces prosthetic complexity and minimises the number of additional components required. These features save time not only in the lab, but also in the chair, ensuring patient comfort, reduced appointments, and faster treatment. For clinicians, the additions mean a streamlined process with added efficiency.

Together, these latest solutions make the Tapered Pro Conical implant system more adaptable and efficient, particularly for immediate full-arch restorative indications.

the trusted partner for your implant success

With decades of advanced research behind their products, BioHorizons Camlog Group continues to pioneer within the implant field – known for their innovative designs and breakthrough developments. Their portfolio also boasts an extensive range of revolutionary prosthetics, biomaterials, and more.

Consistently developing and supporting dentistry, BioHorizons Camlog Group offers a dedicated customer care team and various educational programmes, helping clinicians deliver exceptional patient care from the treatment planning to the very end of treatment and beyond. The team provides the innovative tools, training, and continued support to ensure predictable success and the longevity of dental implants, facilitating excellence in full-arch rehabilitations.

Discover the latest pioneering upgrades from BioHorizons Camlog Group – shaping the future of implantology!

For more information on the innovative Tapered Pro Conical implant from BioHorizons Camlog Group, please visit theimplanthub.com/taperedproconical/ n

Engaging design, upholstery colour picker tool, videos, testimonials and much more... Explore now

Fast forward 30 years…

After attending the 30th anniversary celebrations of IndepenDent Care Plans, robert donald looks at what has really changed in that time

The 30th anniversary celebrations of the launch of IndepenDent Care Plans (ICP) were held at Cameron House Loch Lomond on the 6th September. The event was attended by 80 colleagues and partners from all over the UK, including those who have been closely associated with ICP over the years. These included members of Highland Dental Plan (HDP) Lothian Independent practitioners (LIDP), Fife Dental Care (FDC), Moray Firth, Grampian, Tayside and other Individual dental practices throughout the UK.

Who would have thought that something that started out as such a ground-breaking idea all those years ago would turn out to be such a success story? It doesn’t seem that long ago since Highland dentists set up their own, locally-controlled private capitation scheme against a background of crippling NHS funding cuts and mounting bureaucracy. Some of my more senior colleagues will remember the 8th July 1992 when the government imposed the now infamous 7% NHS fee cut. This was the catalyst for Highland dentists to take a concerted action in setting up Highland Dental Plan. It all came about following the introduction of the UK government’s ‘new’ dental contract in 1990. More patients had been registered and more work had been done on them - about £200 million more than government had budgeted for. In order to balance the books, fees were slashed by 7% and, following a hastily arranged ballot of British Dental Association (BDA) members, 58% voted not to accept new NHS patients of any age and 80% voted not to accept new NHS charge-paying adult patients. On the back of this advice, Highland Local Dental committee organised an emergency meeting of General Dental Practitioners and the foundations were laid for the setting up Highland Dental Plan. From humble beginnings, in an attic room in 1993, HDP grew and prospered and in 1995 IndepenDent Care Plans was launched following the recommendations of the HDP expansion committee enabling other like- minded dentists throughout the country to set up their own dental plans. These plans are now administered from a spacious suite of offices at River House in Inverness by eleven friendly, efficient and dedicated staff.

the strengths of the company

• It’s run by dentists for dentists with minimal third party interference

• It includes Dental Emergency Assistance support( DEAS)

• It’s locally controlled allowing close monitoring of quality and DEAS claims.

History, they say, has a way of repeating itself and it seems that the more things change, the more they remain the same. Fast forward 30 years and here we are still facing the same issues of “real terms” NHS funding cuts and mounting bureaucracy. I recently came across a media briefing that the BDA produced in 1999 on NHS dentistry. It stated: ‘Dentists don’t leave the NHS for ideological reasons. They leave because they are finding it more and more difficult to provide an acceptable quality of care and spend the appropriate amount of time with each patient under the present fee structure and still maintain a viable practice.’

What has really changed in the intervening years? The government’s approach to funding NHS dentistry continues to be unrealistic, unsustainable and creates a fundamentally flawed baseline for future funding arrangements. Access to NHS care is as much a postcode lottery as it ever was with the vast majority of Integrated Care Boards (ICB’s) suffering from poor dental access and inequalities of care. Add in the workforce shortages sweeping across the country and the outlook looks bleak. In response, more of my colleagues understand the benefits of having a dental plan which allows their patients to budget for their dental care and at the same time reduce financial pressures for the practice. Whilst the profession continues to face difficult times ahead, particularly with the mounting pressures on the NHS dental budget, I am convinced that putting patients first is the only way forward. All dentists should be allowed to provide care in an environment where they are able to put patients interests first without having to worry about whether the system that is funding the care provides adequate resources for the treatment or the care that is needed.

It’s no surprise that the demand by dentists for dental plans advances apace. Here’s to the next 30 years! n

about the author dr robert donald, independent Care Plans director.

A new model of partnership

Now in the UK

If you’re interested in unlocking real, long-term value within your dental practice, the traditional sales market is probably not for you. Until now, for many principals of well-established businesses, the only option for evolving the ownership of a practice has been to sell and retire. This has changed with the introduction of DeNovo Dental Partners to the UK market, who is bringing an innovative new model to principals nationwide.

Changing the status quo

To understand the massive differences between DeNovo and other sales offerings, it’s important to appreciate the market as it stands. Traditionally, practice vendors would typically receive a percentage of the business value upfront, with the remaining deferred. Sellers in this model often find they are confined regarding the control that they need over the practice to maintain the business and drive further growth. As such, the traditional models are set up to protect the buyer.

DeNovo offers a more progressive model that focuses on driving mutually beneficial outcomes. We still value practices based on a multiple of EBITDA – that’s the industry standard – but we don’t hold back any consideration. Our Partner dentists receive 100% of the value of their business upfront, with the majority paid in cash and the remainder in group equity in the broader DeNovo parent company. This aligns all of our practices in both individual practice growth as well as the growth of the group. And, all of our Partner dentists benefit from when DeNovo scales. Additionally, there are wealth generation opportunities for Partner dentists for years post-sale, actively incentivising and rewarding

practice growth. The result means that dentists who work with us earn significantly more than they would if they sold via the traditional model. All of this is underpinned by complete practice autonomy. Partner dentists retain the power to run their practices as they see fit, protecting their legacy and having direct influence on the growth they can achieve.

a culture of support and partnership

The other advantage of the DeNovo model is that Partners have access to DeNovo’s ecosystem of support and to a community of colleagues to help unlock practice growth – the principal is no longer alone. Partner dentists can pick and choose if and which services they utilise, when they use them and how much guidance they would like from the group. This allows a totally customised approach for each practice, ensuring the support they need is available. This maintains practice autonomy and shows how we work in true collaboration with our Partner dentists.

Your next chapter

If any of this aligns with your own thinking and you are interested to know more, get in touch with DeNovo Dental Partners today. We are looking for well-established and highly successful dental practices that are poised for growth with the support and backing of our parent company. There is always room for new Partner dentists who are excited and ambitious about the future of their practices!

Find out if DeNovo is right for your practice’s future by visiting www.denovo.partners today. n

Harness the power of AI

Accelerate your implant planning workflow with CS 3D Imaging Premium

Work smarter not harder with CS 3D Imaging Premium, the AI-powered software that accelerates your implant planning workflow by automating tasks and simplifying 3D case sharing.

Try CS 3D Imaging Premium for free and unlock new features to enhance your treatment planning and boost your productivity.

Learn more at Carestreamdental.com

30-day free trial

© 2025 Carestream Dental LLC.

*Automated implant placement limited to a maximum of three teeth in the mandibular region. Initial proposal should be controlled by the clinician and might require some adjustments by the clinician.

The importance of continuous improvement in dentistry

Practice Plan Regional Support Manager, tracy Webb, explores how adopting a policy of continuous improvement can pay dividends in practice and for patients

With developments in new technology coming along thick and fast these days, standing still is not an option. For dental practices, ‘continuous improvement’ shouldn’t just be a business strategy but a mindset that shapes everything they do. From patient care to team development and operational efficiency, striving to be better every day helps to deliver the highest standards of service to your community.

What is continuous improvement?

The Japanese business concept, ‘kaizen’, is based around the idea of continually making small improvements, which, over time, make a huge difference. Kaizen strives to drive efficiencies by encouraging a team atmosphere, improving processes and procedures. It also aims to enhance employee engagement as well as making jobs more fulfilling, less tiring, and safer.

Another important aspect of kaizen is that any employee can suggest an improvement at any time, so it is not hidebound by hierarchy. In a dental practice, this can mean suggestions around anything from refining appointment scheduling systems to adopting the latest dental technologies or investing in staff training. It’s about everyone asking, “How can we do this better?” – and then taking action.

Kaizen, or the philosophy of continuous improvement, has now migrated beyond Japan to many more countries and has been adopted by many different types of industries.

Why it matters

What are the benefits of continuous improvement?

Improved patient outcomes

Patients should be at the heart of everything you do in practice. By regularly reviewing clinical procedures, materials, and technologies, you can ensure that your patients receive the most effective and up-to-date care. Whether it’s improving infection control protocols or introducing digital scanning, small changes can lead to big improvements in comfort, safety, and results.

Enhanced patient experience

Patients notice when a practice has a team that works well together. When things run efficiently it makes a practice a more comfortable place to be and fills patients with confidence. By adopting a policy of continuous improvement, you can streamline

your front-desk processes, reduce waiting times, and make every visit as smooth as possible. As part of the process, it’s also important to gather feedback from patients and use it to refine your communication, scheduling, and follow up.

Team development and morale

A culture of improvement is great for the team. When everyone, from receptionists to dental nurses to clinicians, is encouraged to share ideas and take ownership of their work, it creates more engaged and motivated staff. Investing in regular training, mentorship, and team building helps ensure team members feel supported and inspired to develop and grow.

Staying ahead in a competitive market

The dental industry is changing rapidly these days. Advancements in treatments and technology are fuelling increased patient expectations. However, practices that embrace change are more likely to thrive. Continuous improvement helps you to stay competitive, attract new patients, and retain existing ones by consistently offering highquality, modern care.

Compliance and risk management

Regulatory bodies like the Care Quality Commission (CQC) and General Dental Council (GDC) expect practices to demonstrate a commitment to quality and safety. By embedding continuous improvement into your daily operations, you can ensure that not only will you meet these standards, but you’ll also exceed them. Regular audits, clinical governance meetings, and reflective practice should all form part of this type of approach.

How to put it into practice

Continuous improvement is great in theory, but what does it look like in practice? Here are a few ways you can embed it into your practice:

• Patient feedback surveys: ask patients for their comments regularly and use their feedback to make meaningful changes

• Team huddles and reviews: weekly meetings can provide an opportunity to reflect on what’s working and what needs some tweaking

• Professional development: making sure team members attend courses, webinars, and conferences can help everyone’s knowledge and skills to stay current

• Technology upgrades: investing in tools to help improve the efficient running of the practice such as online booking systems, or in tech that assists with diagnostics, like intraoral scanners, are essential for improving your patient experience

• Clinical audits: conducting routine reviews of your clinical work will help ensure it meets the highest standards.

create a culture of improvement

For the policy of continuous improvement to thrive, it needs to become part of the culture. The whole team needs to be curious, open to change and have a willingness to adapt. There needs to be an atmosphere where every team member feels confident and able to contribute ideas, no matter who they are or how small the improvement. Sometimes, it might only take a simple suggestion, such as tweaking a reminder email to patients to make a big difference. Remember, the improvements in the performance of the British Cycling Team under Dave Brailsford came about because he sought to aggregate marginal gains.

Small improvements in many places can make a huge difference. So, it’s important to celebrate wins. Recognising progress, no matter how incremental, helps build momentum and keeps morale high.

Keep going

It’s essential to keep growing and evolving. Whether that’s through new treatment options, focusing on becoming more sustainable, or getting more involved with your community, being committed to becoming a practice that never stops improving is what counts. Ultimately, every improvement you make to the way you run your business and deliver your care will benefit your patients, and that’s what really counts.

This year, Practice Plan celebrates 30 years of welcoming practices into the family, helping them to grow profitable businesses through the introduction of practice-branded membership plans. So, if you’re looking to switch provider or are considering a full or partial move away from the NHS and would like a provider who will hold your hand through the process whilst moving at a pace that’s right for you, why not start the conversation with Practice Plan, on 01691 684165, or for more information visit the Practice Plan website: www.practiceplan.co.uk n

about the author tracy Webb has been a regional Support Manager/ Business Development consultant for the practice plan group for 19 years and has over 30 years’ experience in the dental industry, including 13 years in practice.

Dental Therapist of the Year: Emily Banks

2025’s Dental Therapist of the Year, Emily Banks , on how communication is key, mental health, and skill-mix

Your clinical work is centred on a challenging paediatric demographic, often involving patients with phobias or additional needs. How has your focus on communication affected your career and are there any examples you could share of how communication skills have played a significant role in providing patient care?

I think that communication with paediatric patients succeeds when delivered with confidence. I think every dental professional out there will have their own strength in communication to lean into with paediatric patients, whether that’s empathy in delivery, distraction, positive reinforcement or asking questions. Personally, I lean into being a bit silly as it creates a good distraction and builds rapport. There is also an evidence base behind medical clowning that shows decreased stress levels in paediatric patients. For professionals who want to grow more confidence with paediatrics, I would recommend shadowing a clinician who is confident with treating paediatrics – there is likely a nurse in practice, who has a secret skill of child taming, who could teach you a few tips and tricks to get started. Managing paediatric patients is a skill that needs to be developed over time, and this can be done by anyone as long as they are committed to enhancing their skills.

Your research focusing on postgraduate training opportunities for dental therapists is set for publication in the European Journal of Dental Education. As a champion of the dental therapist role, what is the most critical conversation you want this research to spark regarding the empowerment and maximisation of the therapist’s skill set, both in the UK and on an international level?

I chose this research path based on my own ambition to gain additional skills. I wanted to see opportunities grow for dental therapists in the postgraduate field, and this got the ball rolling. The conversation I want to spark is related to upskilling an already very dedicated work force. Important discussions around vacancies and future planning of dental provisions are happening at national level, and education should always be the basis of this.

Dental Schools Council has released a statement outlining the need for increased undergraduate provision. What would be sensible is to start looking at upskilling the current workforce, so we don’t end up with a plateau of skill sets in dental practice and academia. I understand it is a brave move in a volatile environment such as postgraduate delivery, but conversations need to be had. At an international level, the UK would be set to make an example of good practice in further training for dental auxiliary staff.

THE DENTAL AWARDS 2025

As a Lecturer in Dental Therapy at Cardiff University, you are dedicated to equipping future clinicians in paediatric management. Your local audits have demonstrated the efficacy of dental therapists in the hospital paediatric environment. What key operational or educational changes would you like to see implemented across the wider UK dental workforce to fully embrace this model of skill-mix?

Obviously, there are external factors related to care provision and NHS commissioning that dictate the dental workforce and its future success, and it would be fabulous to have a crystal ball to see how dental therapists will be used in the next 3-5 years, but alas, I just have to wait. Luckily, the dental therapy community has advocates in the form of its professional societies, BADT and BSDHT, who do extraordinary work with developing the profession, exemplified in the recent Human Medicines Regulations amendments.

Understanding of varying scopes of practice will be essential in the next few years in order to facilitate a skill-mix model that works. This is being nurtured at undergraduate institutions and benefits will be seen in a workforce that can play to each other’s strengths and scopes. Dental care providers should be leaning into this efficient way of working and, if they need guidance and help, training is available to support this in the UK. The orthodontic sector has demonstrated this well with the use of orthodontic therapists being utilised to their full abilities. The rest of the dental sector should be catching up, and there are multiple practices and dental settings providing evidence of good practice that should be shared and celebrated!

You have openly shared your personal experiences with mental health conditions, writing articles and delivering talks that prompt clinicians to think about their own wellbeing and occupational risks. What is the single most important step the dental profession, as an industry, needs to take right now to better support the mental health and longevity of its professionals?

Compassion within management.

I aim to embed compassion into my educational approach with students and clinical delivery of care. However, this is with active effort and participation in self-reflective practice. Reflection is a huge part of my own management of my mental illness.

In my previous talks, I have focussed on participating in reflection and this leading to advocation of one’s needs. This seems like a simple thing to do, but so many people overlook it and focus on what their patients need, what their employers need, what their family or partner need, but neglect their own needs. Once someone has had that realisation of ‘I need help’, the compassion (or lack thereof) upon talking to management, will set the course of mental and wellbeing improvements.

Your day-to-day management of patients actively aims to counteract the negative impact of social determinants of health through family-wide goal setting and adaptive routines. For a widespread public health challenge like this, what are the core, non-negotiable principles that underpin your adaptive behaviour management strategy to ensure sustainable oral health improvements for the most vulnerable families?

That makes it sound like I’m doing something incredibly fancy, but really it is just using common sense to apply routine and structure to a day to increase health benefits. I have a lot of experience in childcare, and understanding the power of family dynamics, role modelling and rules contribute to a lot of the changes I recommend to families. We know that dental caries incidence is heightened if a sibling has active caries – so although the patient in the chair is my patient, addressing a whole family in one foul swoop is more my approach. If you ban one child from squash but mum, dad and big brother are still having it, the overall success if hindered by cries of “it’s not fair!”, so applying a no squash rule to the house or a dinner table only rule works. This is just one example of family wide goal setting, and it does take confidence and creativity in your approach as a healthcare provider.

How did it feel to be named Dental Therapist of the Year?

It was all a bit crazy really! I felt very awkward being on a video call with fellow shortlisted applicants, so much so that I practiced my disappointed face and shocked face, just as stars at the Oscars do – but that was all for nothing and excitement came over me when I was told the news. I rarely grin that widely, normally reserved for music concerts and seeing kittens. I was very grateful to go to the awards celebration and meet some of the judges, fellow award winners, and the organisers from The Probe. I took my mum along to the day and it was lovely to have her to celebrate with me – *insert typical “I couldn’t have done it without her” quote here*.

It feels fantastic to be Dental Therapist of the Year, something I never thought I would be able to say! 

The power of magnification in modern dentistry

dr nick Fahey shares how magnification has shaped his clinical career, why he sees it as essential to practice and education, and how trusted partnerships can support dentists in achieving excellence and longevity

Some clinicians consider loupes to be an optional accessory. For Dr Nick Fahey, they are the cornerstone of daily practice. With more than 25 years’ experience in implantology and restorative dentistry, Nick has built an international reputation for clinical precision and education.

“I wear loupes routinely for pretty much all aspects of my treatment,” he explains. “I’m really lost without them.”

Nick began practising at a time when magnification was far less common. He recalls how, in the early years, working without loupes was considered normal. “When I started using them, it was a gamechanging experience. Even if my eyesight was as sharp as when I was 18, I’d still want to wear loupes. Because if you can see something, you can treat it. If you can’t see it, you can’t.”

That clarity translates directly into clinical outcomes. “Patients expect excellence, particularly in implant and restorative dentistry where the margins for error are so small. Magnification allows you to achieve that precision. And once you have experienced it, you cannot go back.”

He believes magnification is about more than accuracy. It also underpins clinical confidence. “When you can see properly, you feel in control. That assurance comes across to patients. They trust you more because they can see how focused and precise you are.”

the clinical case for magnification Nick is quick to point out that magnification is not limited to complex implant or restorative work. It enhances dentistry across the board. “Whether you are carrying out a simple examination, placing a restoration or preparing an implant site, magnification gives you the same advantage. It allows you to see microfractures, assess margins more accurately, and pick up on details you would otherwise miss. Those details matter.”

Research supports this view. Studies have shown that magnification improves diagnostic accuracy, enhances ergonomics, and supports more predictable outcomes in endodontics, periodontology, restorative work and surgery.1,2

Nick, the clinical reality matches the evidence. “Magnification is not a luxury. It is a tool that directly contributes to the quality of care. Patients may not always be able to articulate the difference, but they notice it in the results.”

He also highlights the psychological effect. “When you know you can see clearly, you work differently. There is less hesitation, less second-guessing. You feel more in control of your outcomes, and that confidence is visible to the patient in the way you work.”

Finding the right fit

Nick’s journey to the right loupe was not straightforward. Like many dentists, his first experience was disappointing. “The company that is my go-to now is Evident, but I started with a loupe from a different provider. Everyone was raving about them, but they just didn’t fit me well. They tried to make adjustments, but I was never happy. Eventually, I went to Evident. Lisa from the team came out, and straight away I felt confident. It was all very professional. I just knew I was going to get what I wanted.”

For him, value comes not only from the equipment but from the support behind it.

“These aren’t the cheapest loupes on the market, but they are excellent pieces of equipment with fabulous support. That’s where the value is. Not only in the product, but in the aftercare and service. It’s also personal. I know that if I need to, I can send an email or pick up the phone. It is reassuring to have that level of contact.”

Nick emphasises the role of customisation. “The angulation, the working distance and the posture assessment all come together to make sure the loupes are right for you. Dentistry is tough on the body. Back pain, neck pain, posture problems are common. With the right loupes, properly customised, you can protect yourself. That is not just about comfort today. It is about being able to practise for years to come.”

He notes that, too often, dentists underestimate the impact of ergonomics until problems arise. “When you are young, you assume your body will cope. But I have seen colleagues forced to cut down their hours or even retire early because of musculoskeletal issues. If the right loupes

can prevent that, why would you risk practising without them?”

Magnification and education

As well as his clinical work, Nick has a longstanding commitment to education. For him, magnification is non-negotiable when it comes to training.

“If you want to perform at a high level, you need to see at a high level. It is as simple as that. When I teach courses on implants or restorative dentistry, I expect delegates to use magnification. Once they see the difference it makes, they never want to go back.”

He considers magnification to be part of a broader effort to raise standards across dentistry. “As dentists, we owe it to patients to use the tools that allow us to deliver the best possible care. Magnification improves outcomes, supports clinicians and elevates the entire profession.”

Nick is particularly encouraged by the uptake of loupes among new graduates. “Younger dentists are often starting their careers with magnification, which is the right way around. It is much harder to change habits once you are years into practice. But when you introduce magnification early, it becomes second nature. Patients notice that precision. Excellence begins with what you can see.”

He also believes magnification supports communication between clinicians and patients.

“When I show patients photographs or videos taken through magnification, it helps them to understand what I am doing and why. That builds trust and engagement, which makes treatment acceptance smoother.”

Partnerships that last

Over his career, Nick has come to value trusted relationships. “Dentistry is not a solo endeavour. You need partners, whether that is your practice team, your mentors or the companies that supply your equipment. Evident has been that partner for me when it comes to magnification. They understand dentists, they understand what we need, and they deliver it with professionalism.”

For him, partnership goes beyond equipment. It is about building a network of

Dr Nick Fahey is a specialist prosthodontist and principal dentist at Woodborough House, focusing on complex restorations and implant treatment.

people and organisations who can support your practice and your growth. “That may be a colleague you turn to for advice, or a supplier who knows your practice and your needs. Those relationships underpin long-term success and extend naturally into education and mentoring.”

In Nick’s view, those partnerships and mentoring relationships do more than provide support day to day. They create a culture of shared standards and continuous learning that strengthens dentistry as a whole.

Clarity as the foundation

From his early days in practice to his current role as one of the UK’s leading implant dentists, Nick’s career has been defined by precision, education and commitment to excellence. For him, magnification is not optional but fundamental, underpinning his work, his teaching and his longevity in the profession.

His advice is simple: “If you can see it, you can treat it. Magnification gives you that clarity. And clarity is everything.” n

For practical advice on choosing the best loupe for you, Evident has produced a free professional guide, Through the Lens: a dental professional’s guide to choosing the right loupe. It covers expert insight and key considerations to help dentists invest in magnification that supports both clinical outcomes and long-term wellbeing. You can access the guide at response.evident.co.uk/loupes-buyers-guide

References

1. Bud MG, Pop OD, Cîmpean S. Benefits of using magnification in dental specialties: a narrative review. Med Pharm Rep 2023;96(3): 254-257. doi: 10.15386/mpr-2556

2. Wajngarten D, Pazos JM, Garcia PPNS. Ergonomic working posture in simulated dental clinical conditions: effect of magnification on the operator’s experience. Peer J 2021; 9: e11168. doi: 10.7717/peerj.11168

For

Successfully convert from NHS to private dentistry with us

If you have been thinking about making the move from NHS to private dentistry, let our friendly experienced team explain why introducing private Dental Plans to your practice can enhance your income and provide you with the freedom to grow your business.

Our dedicated team will work with you to carry out an impartial analysis of your business and will provide you with all the support and advice needed for a full or partial conversion.

With over 30 years experience of administering Dental Plans for practices throughout the UK, we are the perfect partner to ensure your transition is both seamless... and an ongoing success!

Dentistry Show London 2025 closes on a high

Dentistry Show London 2025 has once again cemented its place as the capital’s leading dental event, with this year’s show at Excel London attracting impressive numbers of delegates across two inspirational days (3rd4th October).

Under the theme “The Future of Dentistry”, thousands of dental professionals from across the UK and beyond came together to explore real-world challenges and nextgeneration solutions. The programme featured more than 100 renowned speakers delivering cutting-edge clinical and business content across six theatres, including the brand-new Keynote Theatre, which amongst other sessions, included an update from the Chief Dental Officer that saw Jason Wong reveal that dental contract reform is scheduled to be fully implemented in the UK from April

2026, following a public consultation that closed in July 2025.

Delegates benefitted from over 100 hours of enhanced CPD, with sessions tailored for the entire dental team –from practice owners and associates to therapists, hygienists, dental nurses, and practice managers.

A few highlights included:

• An inspiring session, ‘The panel I wish I’d heard sooner’, where Raabiha Maan, Devinia Coco Lavan-Iswaran, Chinwe Akuonu and Shandy Vijayan shared candid lessons for women in dentistry

• Milad Shadrooh, ‘The Singing Dentist’, who brought his trademark humour and insight to ‘Emotional dentistry’, exploring the vital role of empathy, communication, and human connection in patient care

• Kash Qureshi, Clinical Dental Technician and Owner of Bremadent Dental Laboratory and Swissedent

take a virtual wander around Dentistry show London 2025

Denture Clinic, who gave delegates a behind-the-scenes look with ‘A day in the life of a new generation dental lab’, spotlighting the latest technology and workflows shaping lab–clinic partnerships

• Dr Ben Atkins, Professor Iain Chapple and Professor Tim Newton, who joined forces for ‘Managing the complex needs of high-risk patients’, offering fresh perspectives on prevention, systemic health, and behaviour change

• ‘Friend or foe? The role of social media in today’s dental practice’, chaired by Trishala Lakhani, which sparked lively debate among Sarika Shah, Chinwe Akuonu, Manrina Rhode and Niall Hutchinson. The panellists shared candid insights into how platforms like Instagram, TikTok and YouTube are reshaping patient expectations, brand building and professional reputation – while also examining the risks, pressures and ethical dilemmas that come with an always-online presence. Alongside the world-class education programme, delegates explored innovations from more

than 180 leading suppliers and manufacturers, taking advantage of exclusive offers, live demonstrations and hands-on training.

“Dentistry Show London has become a defining moment in the dental calendar,” said Senior Show Manager Stewart Turner. “This year’s show brought together a fantastic community of dental professionals for two days of high-quality education, innovation, and networking. The vibrant atmosphere across the exhibition and theatres showed just how valued this event is within the profession.” As well as the packed theatres and exhibitor stands, networking was at the heart of this year’s show, with thousands of delegates connecting with peers, colleagues and new partners to share ideas and build lasting relationships.

Dentistry Show London will return to Excel London on 9-10 October 2026, promising another unmissable two days of inspiration, education, and innovation for the whole dental team. Register your interest at london. dentistryshow.co.uk/register-interest. For updates, visit london. dentistryshow.co.uk and follow @dentistryshowCS on Instagram. n

Prevora showcased at Dentistry Show London

Dental professionals at Dentistry Show London had the chance to discover Prevora - a clinically proven, long-lasting antibacterial coating designed to protect high-risk adult patients from tooth decay. The unique solution, now launching in the UK, drew strong interest throughout the two days, with live demonstrations showing how Prevora works by managing oral dysbiosis that contributes to both caries and gum disease.

With more than 20 years of clinical research and real-world use in North America, Prevora offers a powerful option to reduce the bacterial burden driving caries and periodontal disease.

Containing 10% chlorhexidine, Prevora is applied quickly and painlessly to the teeth and gums, forming a long-acting protective barrier that helps rebalance the oral microbiome. The innovative two-step process – applying a chlorhexidine coating followed by an inert sealant – was demonstrated to delegates across the show.

Following the first in a series of advisory boards led by Prevolution Health (exclusive UK distributors of Prevora), leading

experts including Professors Iain Chapple and Avijit Banerjee are helping to shape its clinical integration and patient impact.

Dr Ben Atkins, past-president of the Oral Health Foundation, founder of Revive Dental Care and a clinician advisor for NICE, explained: “Prevora could be a crucial tool for hard-to-treat and high-risk patients, addressing this ever-growing market. It offers significant benefits for those who struggle with persistent dental issues and are at higher risk of complications. Prevora could also improve NHS dentistry by providing effective preventive care and reducing the burden on dental services.”

A targeted preventive option

Prevora is licensed for the prevention of tooth decay in highrisk adults, including those with:

• A history of caries or bleeding gums

• Diabetes or dry mouth

• Dental implants or pre-implant procedures

• Difficulty maintaining hygiene routines

• Polypharmacy, social care residency or complex needs.

Applied by dental hygienists, dental therapists or dental nurses* in under 10 minutes, Prevora integrates easily into hygiene appointments. Its non-invasive, painless application makes it well-suited to patients seeking less complex care, without compromising effectiveness.

By incorporating Prevora into routine hygiene appointments, practices can enhance clinical outcomes for high-risk adults while reducing reliance on restorative interventions. Delegates also heard how this approach increases hygiene appointment value and profitability, offering a commercially attractive option in line with growing demand for proactive oral healthcare.

For more information on the launch, visit www.prevora.co.uk/professional and follow Prevolution Health on LinkedIn and Instagram. n

The digital world of implant dentistry

Dentistry progresses every day. From new treatment protocols, to updated regulations, the profession is in a constant state of flux. Leading this charge are the capabilities of digital dental solutions. Now, in almost every workflow, a clinician will use a number of technologies to enhance, simplify or streamline patient care.

This is especially true in implant dentistry. Understanding how digital solutions make a significant impact in today’s care is vital, and ensures patients can access the best possible treatment.

digital imaging

Key aspects of dentistry that have been changed by digital solutions are the recording of impressions, imagery and radiography. Dental photography has advanced with the capabilities of modern cameras, recording greater detail and producing truer-to-life results, but the most helpful changes come with intraoral scanners and 3D solutions like cone beam computed tomography (CBCT) imaging. Intraoral scanners have brought some advantages to the workflow over conventional impression taking counterparts, including a lower risk of distortion during impression taking and model fabrication, and increased patient comfort. They also make the impression taking process quicker, with results almost instantly available to review. Studies find conventional impressions and digital impressions often produce comparable results, but patient preference may influence more clinicians to opt for the digital solution. Clinician experience with digital impression taking and the suitability for each case should be considered prior to use.

With arguably an even greater impact, CBCT scanners have become a near irreplaceable aspect of modern implant dentistry. The ability to take an accurate 3D scan of the dentition and surrounding hard tissue structures, as well as nerve canals and similarly vital landmarks, is imperative for successful implant treatment. These radiographic solutions utilise typically low radiation doses, maintaining patient safety, whilst gathering information for presurgical diagnosis and treatment planning.

Planning and placement

The radiographic results from a CBCT scanner can be digitally collated to create a 3D dataset for computer-aided treatment planning in a dedicated software. Together, the digital solutions can be used in an integrated approach that prioritises biomechanical, functional and aesthetic targets for a predictable outcome that

minimises complications. 3D results are preferred over 2D radiographic images in advanced cases as a clinician can better understand the anatomy of each individual patient. Unique bone structures, positioning of the existing dentition, and landmarks such as nerves or the sinuses will all influence a case, and it is in both the clinician’s and the patient’s best interests to collate as much information about them as possible.

Digital treatment planning creates new opportunities for clinicians to prepare for implant placement. Virtual patient simulations use 3D models that imitate the patient’s anatomy and allow clinicians to ‘perform’ the implant surgery digitally, giving the opportunity to identify potential challenges and rectify an unsuitable treatment approach ahead of time.

Another potential use is in the design and creation of surgical guides that aim to increase the predictability of treatment. These will typically require intraoral scans and CBCT data, informing the treatment plan in a digital platform. A surgical guide is created from this – potentially 3D printed, to highlight yet another digital aid that minimises laboratory turn-around times, as clinicians can assemble the solution in-house. The literature finds that a surgical guide can play a role in achieving distance deviation by <2mm (often <1mm) and angular deviation by <8º (most <5º). It will no doubt be a product of digital dentistry that many clinicians find valuable going forwards.

Skills come first

Digital solutions in implant dentistry are just one aspect of successful care. Developing confidence in your skills and knowledge is paramount, and you can find support through courses like the PG Diploma in Implant Dentistry from One to One Implant Education.

The PG Diploma in Implant Dentistry transforms novices into safe, competent clinicians who can treat a variety of cases. The course covers the entire workflow of implant design, placement and management, and prepares clinicians for care in the digital age. Led by Dr Fazeela Khan-Osborne, who uses a variety of digital solutions at her practice, The One To One Dental Clinic, dental professionals will engage in hands-on sessions and individualised mentoring for a complete education in gold standard implant dentistry.

As time passes, digital solutions will only become more important in successful implant care. Understanding and engaging with the current capabilities of these tools is important, to ensure you are ready for the next generation of digital implant workflows.

To reserve your place or to find out more, please visit 121implanteducation.co.uk or call 020 7486 0000. n

Skills to expand treatment offering

Dental implants are the gold standard for the treatment of missing teeth, offering patients a highly functional and aesthetic appliance which can be cleaned similarly to the natural teeth. As such, it is important to discuss all of the potential treatment options with patients seeking to replace a missing tooth, and explore the various procedures which may facilitate a long-lasting outcome.

One such option is a sinus graft procedure, which can make dental implants accessible and successful for more patients. Because of this, having the skills and knowledge to provide this treatment option can be valuable.

Sinus grafting for implant treatment

A sinus grafting procedure can be an essential aspect of dental implant treatment. It involves raising the floor of a maxillary sinus and filling the remaining space with bone grafting material. After healing for a number of months, this procedure leads to improved thickness and density of the jawbone, making the area more suitable for dental implant surgery.

This may be required if bone density has been lost due to periodontal disease, cancer, birth defects, or bone resorption following tooth loss. As mentioned, it is usually performed in preparation for dental implant placement as implants require dense, strong bone to provide adequate support and reduce the risk of treatment failure.

Research suggests that sinus floor elevation is highly effective for improving the success rates of dental implant treatment, with a three-year implant survival rate of 90.1%. Additionally, graft failure was low, with a failure rate of 1.9%. This suggests that it is important to consider sinus augmentation as a part of a dental implant treatment plan in cases where there is insufficient bone density and thickness to support a more successful long-term outcome.

expanding treatment offerings

In order to provide procedures such as this, it is important that the dentist is appropriately trained, their skills are up to date, and they work within their limits, appropriately referring patients, as outlined in the GDC’s Standards for the Dental Team. As such, it is essential to seek high quality educational opportunities in order to take on more advanced dental implant cases and, in turn, reduce the number of patients you refer to more experienced clinicians.

This being said, it’s important to understand that this process can take time, and it can be helpful to seek the guidance of a mentor to assist you along the way, offering advice and opportunities to learn.

key learning styles – visual, auditory, read/ write learning, and kinaesthetic – each offering the learner unique advantages. However, not all learning types will be suited to every course, with kinaesthetic (hands-on) learning often the most difficult to access, particularly within formal institutions. Hands-on learning, therefore, offers the opportunity for delegates to practice their newly learned skills and develop them in a practical way. Whilst many people will have a preference for one type of learning style, most will benefit from all types. As such, multimodal education is recommended, to ensure that those with varying learning styles are able to get the most out of their learning experience. When it comes to expanding your knowledge of complex or advanced dental skills, such as hard and soft tissue augmentation and sinus grafting, it is important to select a training course which offers the opportunity to solidify your knowledge of the theory with a practical hands-on exercise.

ASHA Club offers a wide range of courses, aiming to further clinicians’ knowledge and expertise in dental implant treatment. Coming up this December is the Comprehensive Cadaver Training in Advanced Hard and Soft Tissue Augmentation (With Sinus Grafting). The programme consists of one theory day (for those who have not already completed the Advanced Horizontal & Vertical Augmentation course) followed by two days of hands-on cadavers practical learning. Furthermore, those who complete ASHA Club courses have the opportunity to be mentored by ASHA founder and course presenter Dr Selvaraj Balaji.

If you are looking to offer a high standard of dental implant treatment, and expand your offerings to include more advanced cases, adding hard and soft tissue grafting alongside sinus grafting to your toolbelt can be incredibly valuable. These advanced procedures will help to ensure you offer your patients the best possible outcomes for long-term implant stability. n

comprehensive cadaver training in advanced Hard and Soft tissue augmentation (With Sinus Grafting) 11th, 12th & 13th december 2025

to book, please call: 07974 304269 or email: info@ashaclub.co.uk

Find out more at ashaclub.co.uk/courses

about the author dr Fazeela Khan-osborne is the Founding course Lead for the one to one education Programme.

Hands-on learning

In order to adopt new skills and, ultimately, expand the treatments you can offer patients, it’s important to choose courses which best support your learning style. There are four

about the author dr Selvaraj Balaji BdS, MFdS RcPS(Gla), MFd SRcS(ed), LdS RcS(eng) is the founder of the Academy of Soft and Hard Tissue Augmentation (ASHA) and runs courses, lectures and study clubs in the UK and around Europe for aspiring implantologists,

Thin gingival biotype management in orthodontic care

d r Kate Walker presents her alignment of the anterior dentition for a 64-year-old patient with a high risk of gingival recession, by using clear aligners over the course of 12 months

Presenting Complaint

Fig 1. Pre-treatment with discoloured veneer, smile view

Fig 2. Pre-treatment, retracted view

Fig 3. Pre-treatment, chip-up view

Fig 4. Crowing in the maxilla, upper occlusal view

Fig 5. Visible crowding of the lower anterior incisors, lower occlusal view

Fig 6. Pre-treatment, left lateral view

Fig 7. Pre-treatment, right lateral view

A 64-year-old woman presented with concerns about the aesthetics of her dentition. She expressed that she “hated” her anterior teeth, especially her UL1, which she felt had moved and become prominent over a number of years.

The patient also had a veneer on the UL2. The margins of the veneer were becoming visible and a shade discrepancy had developed between the veneer and her natural teeth. After an interest in orthodontic treatment was expressed, a full clinical assessment was carried out.

assessment

Extraoral Examination

The patient was assessed to have a mild Class II skeletal relationship. Lips were competent at rest, and the upper lip was forgiving enough that she didn’t have a high smile line. The smile showed a slightly discoloured veneer compared to the natural teeth, and some mild crowding.

Intraoral Examination

The patient was a regular patient for general dentistry, and consistently maintained an excellent level of oral hygiene over the years. She did, however, have a thin gingival biotype and was prone to recession; this had stabilised somewhat over the past 10 years.

There was mild crowding in both the upper and lower arches. Class 1 molars and canines on the right side; the left side was 1/2 unit Class 2 molars and canines. The left premolars were in crossbite; possibly due to arch discrepancy and the upper arch being a narrower/more triangular arch-form compared with the lower arch. The incisal relationship was Class 1. Overjet was 2mm and the overbite was slightly decreased.

As mentioned previously, mild recession was present on the upper incisors and canines, as well as the lower incisors. There were also abfraction lesions on the upper canines and premolars, and the lower premolars and molars.

A space analysis was carried out using Spacewize+, the diagnostic digital crowding calculator.

Radiographs displayed adequate bone health, and no dental pathology, making her an ideal candidate for orthodontic treatment.

treatment Objectives

We initially discussed full comprehensive treatment, treating both arches to relieve crowding, align, level, achieve a better overjet and overbite. We discussed the higher risk of recession and black triangles due to the shape of the patients teeth, the history of previous recession and thin biotype, and also the patients age.

An alternative treatment option included only treating the teeth which bothered the patient the most; in this case it was the UL1 and the upper anterior teeth. Although there may still be a risk of recession and black triangles, this would be minimised as only a few select teeth would be moved. We would also aim to replace there UL2 veneer post aligner treatment, and close any black triangles with composite bonding.

The patient decided to proceed with aesthetic alignment of the upper anterior teeth only, and not to treat the lower arch. She also opted for aligners over fixed braces due to aesthetics. After discussing the comparative treatment times with the above options, she opted for ‘realistic’ treatment as opposed to ‘idealistic’ treatment.

treatment Plan

The patient opted for Reveal clear aligners. The initial set-up moved the premolars, and after a few proposed treatment simulations we decided on one which would only move the UL1/2 and use interproximal reduction (IPR) at select points in the dentition to facilitate movement.

The treatment plans were initially presented to my mentors at IAS Academy, who supported the refinement of each potential approach. Through insightful, guided discussion, we concluded that not only would a single arch treatment reduce the chances of gingival recession, but it would be beneficial to target the problematic anterior teeth alone.

The patient was advised that if excessive recession was observed, for both oral hygiene and aesthetic purposes, treatment would cease. Informed consent was provided, and aligner treatment could begin.

Fig 8. Orthodontic treatment complete and UL2 veneer replaced, retracted view

Fig 9. Post-treatment, upper occlusal view

Fig 10. Post-treatment, chin-up view

Fig 11. Post-treatment, left lateral view

Fig 12. Post-treatment, right lateral view

Fig 13. Final result, smile view

treatment Progress

After approving a simulated treatment plan, A single attachment was placed on the UL1 with composite resin to guide movement. IPR was carried out at three sites, with a minimal 0.3mm used to facilitate movement.

The patient was provided with the first sets of aligners, and advised on how to maintain an effective oral hygiene routine throughout her treatment.

The patient returned for new aligners and a review of her progress every 6 weeks. There was some discomfort in the first few days of fitting the first aligner, but the patient was to instructed to take paracetamol as required.

Each aligner was worn for two weeks. As this patient was at a greater risk of gingival recession, the slower approach, with more minimal changes, would reduce the extent to which the soft tissue was affected.

The patient was exceptionally compliant with both the instructions to wear the aligner and with her oral hygiene routine.

Near treatment end, it was necessary to replace the UL2 veneer. The patient was referred directly to the dental laboratory for an optimal shade match, who returned the new veneer for placement. The original veneer was designed to not only improve the position of the tooth, but mask dark fluorosis present on the underlying structures. This latter aspect unfortunately affected the final result. Whilst the patient was happy with the restoration, concern about the present discolouration was shared, and she agreed that further time spent to rectify this would be beneficial.

A replacement veneer was placed, with the patient and dental team delighted with the outcome.

Refinement focused on the positioning of the UR1-2. Further IPR was carried out at these sites, and composite bonding was introduced to mask the black triangles that developed as a result of the minimal recession.

Following this, a composite veneer was placed onto the UR2 to match the UL2 veneer, and I also bonded the cervical lesions of the upper centrals; because they were triangular teeth, the risk of black triangles increased after orthodontic care, and composite bonding here secured an aesthetic finish.

A fixed retainer was placed on the UR2UL2 and removable retainers were provided to be worn at night.

Reflecting on care

I was pleased with the final result, and delighted with the patient’s response, proudly smiling again.

It is sometimes easy to aim for perfection and a clinical ‘ideal’, however, by simply addressing the patient’s concerns, whilst taking into account her age and recession risk, simple movements of the teeth delivered a brilliant result. I feel it highlights the fact that simple treatment, with the right case selection, should not be overlooked. It can make all the difference to a patient, and this must not be undervalued.

I really appreciated the confidence and support offered by mentors at IAS Academy when it came to this case. It was my first clear aligner case that I took on after completing the Confident Smile Makeover Masterclass with Dr Tif Qureshi, IAS Academy founder and clinical director. I was always able to ask questions about how to progress with treatment, and felt confident in forming a methodical, structured approach as a result.

For more information on upcoming IAS Academy training courses, please visit www. iasortho.com or call 01932 336470 (Press 1) n

about the author

Dr Kate Walker is an associate dentist at Sandal Dental Care and Tovey Little Dental, Wakefield. She graduated with Honours from Sheffield University in 2012, and after completing her vocational training in Newcastle went on to be Senior House Officer in Oral and Maxillofacial Surgery at Hull Royal Infirmary. Alongside her MFDS (RCS) examinations to gain membership to the Faculty of Dental Surgery, awarded by the Royal College of Physicians and Surgeons, Dr Walker has completed a number of postgraduate courses in orthodontics and restorative dentistry.

Call in the experts. Contact us for your FREE Care & Cover package quotation. I would unreservedly recommend products

Eschmann & the Care & Cover service package to others.

With no hidden fees, Care & Cover offers:

• Annual Validation and PSSR certification

• Annual service & software upgrade

• On-site support from our team of over 50 specifically trained engineers

• Unlimited breakdown cover

• Unlimited Eschmann parts & labour

• Technical telephone support

• Enhanced CPD User training

Experience Eschmann excellence at www.eschmann.co.uk, or call us on 01903 753322.

Maxine Northall-Rollins, Scott Arms Dental Practice

A full reset

dr Gina Vega tackles a case that involves replacing 28 crowns

A36-year-old female patient presented at the practice for a cosmetic dental consultation to replace 28 crowns. It was gathered from the patient’s information that she was diagnosed with enamel hypoplasia. When she was 17, the patient had received root canal treatment followed by metal post and cores and crowns on all her adult teeth but was aesthetically dissatisfied with the colour and size of her teeth, and also found flossing impossible in some areas.

A thorough assessment was carried out, with some crowns having chipped and been repaired through the years. The crowns were also joined – UR7 to UL7, LL7 to LR4 and a 3-unit bridge at LR5-6-7 – and several had open margins with secondary decay. Class I gingival recession and periodontitis were also observed, with bone loss associated with maxillary molar sites. Before treatment could begin, the patient was advised to see a dental hygienist as soon as possible, followed by a referral to a periodontist. The patient was upset with the findings but, after reassurance, was keen to commit to treatment.

all in the prep

Following appointments with the dental hygienist and excellent home maintenance and compliance, the periodontal stabilisation phase was completed with favourable results. The case was then planned, with the patient having a detailed discussion with the dental technician about shade, size and colour of the final restorations. A digital smile design and wax-up model were required and the occlusal vertical dimension (OVD) needed increasing to provide adequate occlusal space. Lava Zirconia crowns were chosen due to the

presence of metal cores in the all teeth.

Treatment began by removing the upper crowns first, starting with the posterior crowns. This preserved the occlusion and stabilised it at the increased OVD. Wildcat carbide burs were used to cut through the crowns and the margins of the crowns were re-prepared, removing secondary decay. Individual temporary crowns were tried and adjusted to provide even occlusion and the patient was given maintenance instructions to preserve them.

Removal

A few weeks later, the lower arch crowns were removed and replaced following the same process as the upper dentition. The patient was delighted and found the temporary crowns comfortable, with no impact on speech or mastication.

Four months after the first consultation, the all clear was given from the periodontist. The next step was to finish the preparations, one arch at a time. A 3D scan with the iTero scanner was taken before removing the temporary crowns. A bite registration was taken with a Denar articulator.

The upper temporary crowns were removed first in segments and a second bite registration was made with Blu-Mousse before removing and preparing the upper right posterior segment (URPS). The anterior bite registration was placed before taking the bite registration for the UR. Finally, the upper left posterior segment (ULPS) was prepared and the three bite segments were joined. Racestyptine was used to place the retraction cord. The final prep records were taken with the iTero scanner. The patient met with the dental technician and agreed on shade B1.

A polyvinyl siloxane (PVS) impression was taken using a twostep technique. A wafer was used as a spacer over the heavy body PVS. Once the first step was taken, the retraction cords were removed followed by wash PVS material. An excellent impression was achieved with the margins of the 14 teeth clearly marked. The patient met with the dental technician and agreed on shade B1.

Two weeks later, the permanent crowns were ready for cementation. The upper temporary crowns were removed and the prepped teeth polished to remove all temporary cement residues. The new crowns fit beautifully and the patient gave the go ahead for permanent cementation.

The lower arch went less smoothly. The LL5-6-7 crowns had tight contact points and didn’t fit properly. The patient and I met the dental technician and checked the issues. These were then corrected two weeks later and the crowns were cemented. Occlusion was perfect and the patient was delighted.

Reflections

The case was very challenging yet highly satisfying. A team approach was needed; working with the dental hygienist, periodontist, dental technician and the dental nurse ensured the optimal functional and aesthetic results. Thorough and insightful conversations between everyone were a constant throughout the treatment.

At the review appointment the patient was thrilled with the results and had been receiving compliments, raising her self-esteem. To contain any gingival recession, I reinforced oral hygiene importance and booked her in for a dental hygienist appointment so that the treatment would last. n

about the author

Dr Gina Vega qualified as a dentist in Mexico, working privately before moving to London in 2001 and re-qualifying through the IQE in 2004. As the Principal Dentist at Bishopsgate Dental Care, Dr Vega practices all aspects of general dentistry but has a special interest in Invisalign. A Board Member of the BACD, Dr Vega is committed to clinical excellence in ethical cosmetic dentistry. For more information about the BACD, please visit www.bacd.com

The need for speed – without compromising quality

dr

A44-year-old female patient attended the practice with pain in the lower left region. She had severe dental phobia and often panicked during treatment. As such, it was a big deal for the patient to try to address her dental issue at all. Consequently, the goal was to provide a quick and highly efficient solution, with as few steps as possible.

assessment and planning

The patient presented with good oral hygiene, the gingival tissues appeared healthy with no clinical signs of active periodontal disease, and plaque and calculus levels were minimal. A comprehensive assessment was conducted, including visual examination and probing. Clinical photographs and a radiograph were also taken to assess the situation. A mesial-occlusal-distal (MOD) cavity was detected on the LL7. No additional carious lesions or soft tissue abnormalities were noted on examination.

The LL6 was also fractured and required attention.

Due to her dental phobia, the patient could not tolerate a rubber dam, which would make isolation and effective treatment of the LL7 more difficult. To increase speed of the treatment without compromising quality of the outcome,

a bulk full composite was indicated to restore the tooth once the cavity had been cleaned.

For the LL6, a crown was recommended. To once again optimise speed and efficiency, a CEREC crown was suggested, which could be fabricated chairside from a digital scan on the same day. The relative procedures were explained to the patient to ensure informed consent. Sedation was discussed as an option to help her tolerant treatment, however, she preferred to avoid it if possible due to bad experienced in the past and financial considerations. She was also keen to be treated in the practice and not be referred as she had built up trust with the practitioner and professional team. As such, the patient was apprehensive but ready to proceed.

treatment delivery

On the patient’s return to the practice, the lower left quadrant was sufficiently numbed. The old restoration and damaged tissues were carefully but efficiently removed from the LL7 using a fast handpiece.

The tooth was then restored quickly and easily using the BRILLIANT Bulk Fill Flow from COLTENE. With predictable handling, this product makes faster placement possible with fewer adjustments, all the while ensuring excellent malleability and great shade matching. It can also be cured in up to a 4mm depth in 20 seconds, further supporting a streamlined workflow. For this patient the material helped me to deliver a good outcome despite the limitations faced by the patient.

The LL7 restoration was polished to a high lustre, blending seamlessly with the natural teeth.

Outcome and reflections

The patient was delighted with the outcome achieved. The functionality and aesthetics of both her LL6 and LL7 were restored, using fast and efficient techniques that minimised the time she had to spend in the chair. In this case, a direct composite restoration was placed with satisfactory marginal adaptation, contour, and aesthetics. Although the patient exhibited mild procedural anxiety, she tolerated treatment well following reassurance. After her treatment, the patient was provided with post-operative instructions and she was advised to continue current oral hygiene practices and attend the practice for a routine review.

For more on COLTENE, visit https:// colteneuk.com/, email info.uk@coltene.com or call 0800 254 5115. n

about the author

Dr Max Pura, GDC no. 179927, Principal of Pura Dental Care in London.

To treat the LL6, a CEREC crown was placed. BRILLIANT Crios from COLTENE was used to bond the crown in shade A2.

Prevention, policy and practice: addressing the rising tide of mouth cancer

The Oral Health Foundation is a not-for-profit dedicated to improving oral health and wellbeing around the world. For more than 50 years, we have continued to provide expert, independent and impartial advice on all aspects of oral health directly to those who need it most.

Mouth Cancer Action Month in November provides a timely opportunity for health professionals to reflect on the scale of the disease and their role in prevention, early detection, and advocacy.

Prevalence

The most recent statistics show that 10,825 people are diagnosed with mouth cancer per year, that’s around 30 people a day.1 Men are more likely to experience mouth cancer (66%), making mouth cancer the 9th most common cancer for men.1 Mouth cancer is also correlated to age and 81% of new cases are in those aged over 55, however, mouth cancer is increasingly affecting young men.2

Living in areas of deprivation increases the rates of mouth cancer in men by a staggering 101%, and 64% in women.1

Risk factors

Smoking is attributed to 75% of mouth cancers, and the risk of getting mouth cancer is double for that of a person who never smoked.3 Chewing tobacco, areca nut, paan masala, and smokeless tobacco cause a significant burden among men from Asian populations.4

Alcohol use is responsible for approximately 30% of mouth cancers. Risk increases by 81% in people who drink daily and rises with the number of units consumed.5,6 Combining smoking and alcohol consumption increases the risk by 30 times.7

Human papilloma virus (HPV) is linked to around 73% of oropharyngeal cancers and is increasing in prevalence among young, nonsmoking men.2 Between 2010 and 2020, cases of mouth cancer in men have almost doubled.8

Economic and personal financial burden

Experiencing and treating mouth cancer has significant financial implications. Beyond NHS costs, patients face dental, dietary, and travel expenses. These pressures often fall on health professionals to help manage and may compound inequalities in access to care.

Policy lever UK: Alcohol (current)

Price/tax level

Strength-based excise; mixed recent uprates; draught relief lowers some rates

Minimum price / floor price MUP in Scotland & Wales; none in England

Earmarking revenue

Marketing & promotion

Product availability

Health warnings/labels

Illicit trade enforcement

Duties go to general funds

Statutory controls but broad advertising still allowed

Licensing controls; outlet density managed locally

No cancer warning labels on alcohol

Targeted operations; variable resourcing

High-risk groups Limited targeted action

Screening/early detection link

No alcohol-specific cancer screening; brief interventions patchy

Between 2006-2011, treatment of head and neck cancers was estimated to cost the NHS £309 million. Within that period, the costs from mouth cancer rose from £17.21 million to £30.32 million, reflecting the increasing incidence and treatment required.9 In 2016, an estimated £531 million in workplace productivity was lost.8

The cost of treating mouth cancer in men alone is projected to amount to £1.6 billion across 15 years and societal costs are expected to reach £14.3 billion between 2025 and 2039.8

The Oral Health Foundation’s forthcoming report highlights the lived reality for patients (in publication): 70% of patients surveyed reported a negative impact on their finances and 28% an extremely negative impact. Women experienced higher rates of extremely negative impact that point to unique challenges such as lower average income or caregiving responsibilities. Patients experiencing mouth cancer often have high dental needs for treatment before, during and after treatment. Restorative treatment and more frequent check-ups may not be accessible in the current access-to-care crisis, and patients may have to rely on private dental care. The Oral Health Foundation reported that 60% of patients incurred additional costs for dental care, often exceeding £500. Additionally, patients face costs associated with travel to appointments, special dietary needs, medications and dry mouth treatments. A significant proportion of patients reported

4. Promote equity by engaging high-risk and underserved groups, such as South Asian communities using smokeless tobacco or paan, heavy drinkers, and deprived populations, with tailored support and culturally appropriate guidance.

5. Support policy change by participating in campaigns for stronger tobacco and alcohol control, dedicated taxation for cancer prevention, and improved access to dental and cancer services.

Best practice (prevention) UK: Tobacco (current)

High, inflation-indexed duties that reduce affordability over time

National MUP to remove ultracheap, high-strength products

Hypothecate share to prevention, treatment, screening

Comprehensive marketing restrictions including digital

Tighter density/hours; stronger local powers

Prominent cancer & unit guidance labels

Strong national strategy tied to tax policy

Funded, culturally tailored interventions

Scaled brief interventions; referral pathways

High specific excise + escalator; plain packs

No statutory floor price

Same (general funds)

Comprehensive bans; plain packaging in place

Age-of-sale 18; proposed retail licensing expansion via new bill

Graphic warnings, plain packs

mandated

HMRC track & trace; border ops

General population measures & stop-smoking services

Opportunistic oral cancer checks via dental/primary care

that they experienced additional stress due to the financial strain (in publication).

Policy priorities to reduce the burden of oral cancer

As we can see, the cost of mouth cancer is significant. Therefore, prevention is the most cost-effective strategy. The leading modifiable risk factors of alcohol and tobacco are subject to fiscal and regulatory measures. Table 1 outlines current policy levers for alcohol and tobacco, and actions that could impact outcomes for oral cancer.

Tobacco and smokeless tobacco

For the fiscal year 2025-2026, tobacco duties are projected to raise £8.1 billion for the UK Treasury.10 The Tobacco and Vapes Bill11 aims to introduce a sweeping regulatory reform of tobacco and related products. The most significant being a “Smokefree Generation”, making it illegal to sell tobacco products to anyone born after the 1st January 2009. This Bill is currently under consideration in the House of Lords. Reforms of taxation are estimated to generate an additional £150–500 million per year.

Alcohol

Alcohol duties for the current year are forecast to raise £13 billio.12 A structural reform of alcohol taxation, including higher rates on stronger drinks and the elimination of favourable rates, could raise an additional £650 million to £1.3 billion per year.13 Minimum unit pricing (MUP) sets the minimum price per unit of alcohol, so cheap, strong alcohol is less attractive to retailers.

HPV vaccination

Equitable access to HPV vaccination is essential for preventing mouth and throat cancers, yet uptake among boys in the UK still lags behind where it should be. While the programme was extended to boys in 2019, coverage remains lower than for girls, with many young men

Best practice (prevention)

Regular, above-inflation increases to shrink affordability

Minimum pack/floor prices to stop deep discounting

Hypothecate to cessation, enforcement, oral cancer screening

Maintain/extend to all nicotine products & online channels

National retailer licensing; robust penalties; track & trace

Maintain & refresh rotating warnings

Tight track & trace; penalties that deter

Targeted support (e.g., South Asian communities using paan/gutka)

Funded pathways & recall for high-risk

missing out on protection that could prevent future oropharyngeal cancers. Oral health professionals can play a leading role by highlighting the importance of HPV vaccination for both boys and girls, framing it as a cancer prevention measure rather than just a sexual health intervention. Ensuring equitable uptake will protect future generations and reduce the rising burden of HPV-related oral cancers in men.

Conclusion

Setting aside revenue from tobacco and alcohol taxes is one of the most effective ways to support long-term cancer prevention and control. These products bring in over £20 billion each year in UK duties, but most of this money goes into the general Treasury and is rarely used directly for public health. Even a small, protected share of these funds could make a big difference by supporting prevention campaigns tailored to different communities, expanding services to help people quit smoking or reduce alcohol use, offering oral cancer screening to highrisk groups, and improving care for those recovering from cancer.14 Other countries have shown that using health taxes for health programmes builds public trust and provides a steady source of funding that is less affected by political changes.15 For oral cancer, where treatment is expensive, survival rates are low and inequalities are clear, setting aside these funds is not just a financial strategy but also an ethical responsibility. Dedicated funding could expand services delivered by dental teams, community health workers, and cancer specialists. n

References available upon request

About the author

Dr Rachael England, DipDH RCSEd, MPH, DrPH, FCGDent, Head of Policy and Advocacy, Oral Health Foundation

Action

Still think switching plan providers is a headache? Think again.

Once, switching dental plan providers felt like navigating a minefield — endless admin, patient drop-off fears, and disruption. But that’s old thinking. Today, switching is streamlined, low-effort, and one of the smartest financial and operational decisions a practice can make without compromising patient care.

Why practices are making the move

Let’s be blunt. Most practices switch for two reasons:

• They’re paying too much, or “overpaying for a like-for-like service”.

• They’re getting poor service, or “not receiving the service that was promised”.

If either rings true, it’s time to act. Staying put out of habit, loyalty or fear could be costing your practice. If your plan provider isn’t delivering value, why keep paying them? Before making any decisions, arm yourself with the facts by auditing your current provider.

negotiating cost savings: ask the hard questions

We regularly see dentists unnecessarily paying sometimes double or treble what they could be paying for plan provision. That’s why switching plan provider is more popular than ever – it can deliver significant savings and could allow you to potentially offer patients an annual price freeze on their plan fees, which will boost their loyalty and your goodwill. If you suspect you’re overpaying, or are simply curious, ask your provider these direct questions:

• Can my admin fee be reviewed as a loyal client?

• How does my fee compare to similarsized practices?

• What real value am I getting for this fee?

• Are there savings available without switching?

• Could I benefit from any current offers?

Often, just asking the above will trigger a sudden “review” and fee reduction.

But let’s be honest – if they could cut costs now, why didn’t they do it before you’ve had to ask these questions?

Also beware of the “golden handshake”

– a tempting lump sum to keep you locked in. It usually comes with a three-year contract, and when you do the maths, the result is often longterm losses versus a switch to a more costeffective provider.

Scan the QR code to use our cost-saving calculator to see what you should be paying. Then challenge your provider with real numbers.

Service & support: are you getting what you pay for?

Some providers spend your admin fee on client events, such as roadshows, workshops, and even lavish trips. But is that what you need? Many practice owners see it as a drain on profit.

At Patient Plan Direct, we skip the fluff and reinvest in real support:

• Dedicated Business Development Managers – on hand and in-person when you need them.

• In-practice training, reviews and benchmarking – giving you the insight to understand your performance and drive growth.

• Fast, responsive client service –you’re never left waiting on the phone and expect email replies within an hour.

• PMS integration – allowing you to see plan-related information and insight from within your PMS and ensuring patient information is consistent across both platforms.

Ask yourself: Are you paying for perks or performance? If it’s not the latter, it’s time to rethink your plan strategy.

Switching is simpler than you’ve been told

Most of our new clients switch from another plan provider to Patient Plan Direct, and we know our streamlined, seamless process plays a big part in that decision. Many practice owners

about the author emma Wilks, Business development Manager at patient plan direct.

aren’t aware of how little effort it takes on their part.

Here’s the truth: switching takes three months, requires minimal effort, and causes zero disruption to patient payments. Patients don’t need to do anything. And the myth of mass patient drop-off? It’s just that: a myth, often used by plan providers as a scare tactic to retain business. Ironically, these same providers actively encourage practices to switch to them! We have the proof, which we’re always happy to share with practices interested in exploring a switch to work with us.

So don’t let fear hold you back. If your care isn’t changing, your patients won’t either – it’s time to take control of your business.

Your practice. Your decision. Your future.

You know your practice better than anyone. If you’re not getting the support or savings you deserve, switching could be the most strategic move you make to dramatically improve your finance and operations.

At Patient Plan Direct, we don’t just help you switch – we help you grow. And if you’re just exploring options? We’re here for that too.

Find us online and start the conversation. No pressure. Just possibilities. patientplandirect.com/switch n

“Switching plan provider can be a powerful step to transforming your practice finances and operations.”

Dr Nathan Welch switched his plan patients to Patient Plan Direct, and never looked back.

Scan to watch more client testimonials:

patientplandirect.com/switch

info@patientplandirect.co.uk

Instrument Care

IDactiv from Bossklein is a highperformance instrument cleaner and disinfectant solution. The unique concentrated formulation contains plant based and biodegradable ingredients. Free from alcohol, chloride and PHMB.

Effective against a wide range of different micro-organisms including hard to kill TB, Norovirus and Mycobacteria. The mild and fresh aroma is a refreshing change from most competitor products with harsh odours.

The powerful solution helps break down stubborn debris like plaque and proteins, ensuring instruments are contamination free before sterilisation.

Extensive testing with a wide range of different instruments and materials

provides ultimate confidence for repeated use without the worry of corrosion or discolouration.

For more information call 0800 132 373 or visit www.bossklein.com

Why dentists choose MC Dental — and why you should too

As Black Friday approaches, practices across the UK are taking the opportunity to invest in new equipment and stock up on essentials. But beyond the seasonal offers, many professionals already know that the real value lies in who you buy from. That’s why so many choose MC Dental — a trusted, independent supplier with decades of experience supporting UK dentistry. 

A-dec Are One Phone Call Away

At A-dec, we’re not just renowned for quality dental equipment, we take pride in providing our customers with an exceptional personal customer service because, quite simply, we care.

Whether you contact one of our team of 4 Territory Managers in the UK, or David Miles our Special Markets Manager you’ll receive a first-class experience as jointly their experience in the dental sector spans over 40 years. So, whether you are looking to set-up a new practice or revamping your practice, we are just a phone call away.

The Territory Managers work alongside A-dec-approved Dealers to help provide the exceptional customer service that A-dec is

renowned for. Whether you’re considering a new equipment installation, revamping your practices or need ongoing support, we’re just a call away.

Our dedicated UK-based Customer Service Team brings decades of combined experience and is ready to assist you. From tips on cleaning your chair upholstery to troubleshooting technical issues, we’re here to help quickly and with genuine care.

To find your local Territory Manager, scan the QR code.

Test tooth vitality and identify the source

your patient’s pain with Digitest 3

When percussion, ice, heat and radiographs are not enough, electric stimulation may be the diagnostic tool you need for determining the cause of your patient’s discomfort. That’s where Parkell’s Digitest®3 comes in.

The Digitest® 3 electrically stimulates the tooth to test for vitality, resulting in a value ranging from 0 to 64. Comparing the response of the suspected tooth with a known healthy tooth’s response to an identical stimulus helps you identifying the source of your patient’s pain, assess tooth vitality and, most importantly, test and follow up traumatized teeth.

Thanks to an intuitive single button operation, Digitest 3 is extremely easy to

Unbeatable Trio

use. The three speed settings accommodate your personal preferences and the clinical situation. The device comes with four autoclavable probes to promote easy access to all tooth surfaces and operates by a standard, easy replaceable 9V battery. Available in the UK through the main dental dealers. For further information contact Parkell Europe AB, Sweden, infoeurope@parkell.com or visit parkell.eu/product/digitest-3/. 

Looking to upgrade your CBCT x-ray unit? You can now trade in your old extraoral device for the new Viso G1 3D CBCT at a very special price. Equipped with the latest sensor technology, the imaging unit enables easy and smooth patient positioning, with a smaller footprint making it accessible to an even wider range of customers. FOV selection is easy with the virtual patient on the control panel, which can also be mirrored on the workstation for a convenient workflow. Offering volume sizes up to Ø11 x 11 cm, the FOV can be adjusted freely after scout imaging. Complemented with Planmeca CALM to correct artefact motion, as well as the Planmeca Ultra Low Dose protocol to lower patient dose without compromising image quality.

Additionally, the device features a high-resolution endodontic mode and AI-based noise optimisation for high-precision imaging. Working seamlessly with Romexis 7 all-in-one software and backed up with a 5-year warranty, take your clinic to new heights and experience the future of CBCT imaging today! E: enquiries@planmeca.com T: 02476 994160 

• BeautiBond Xtreme: All-in-one universal adhesive with high bond strength, suitable for all etching techniques.

• BEAUTIFIL Flow Plus-X: Versatile, fluoridereleasing hybrid composite in 2 viscosities, perfect for Class I-V restorations.

• Super-Snap X-Treme Polishers: Achieve a flawless finish with our enhanced polishing disks for ultimate patient comfort. 

Simple shade selection with Filtek Easy Match Keep ahead

The 3M™ Filtek™ Easy Match Universal Restorative from Solventum, formerly 3M Health Care, simplifies shade matching for aesthetic composite restorations.

Three shades – Natural, Warm and Bright – span the entire classical VITA shade guide, which allows more intuitive selection whilst remaining confident in the outcome. Most patients will be best served with the Natural solution, and Warm and Bright can be selected when appropriate.

Clinicians that choose the 3M™ Filtek™ Easy Match Universal Restorative can also expect long-lasting restorations, as the material has excellent polish retention, wear resistance and strength. When considering your next solution for aesthetic single-shade restorations look

no further than 3M™ Filtek™ Easy Match Universal Restorative. Contact the Solventum team today to learn more.

To learn more about Solventum, please visit https://www.solventum.com/en-gb/ home/oral-care/ For more updates on trends, information and events follow us on Instagram at @solventumdentalUK and @solventumorthodonticsemea 

of the curve

No matter where you are in your professional journey, there is always more to learn: new skills, new materials, new technologies.

Members of the Association of Dental Implantology (ADI) never let change catch them unawares. With free access to the national programme of ADI Study Clubs and discounted delegate rates for ADI Masterclasses, discussing the latest developments within dental implantology is never too far away.

Further discounts are also available for the ADI Team Congress and ADI Focus Meetings, giving members opportunities to connect with other passionate dental implantologists. From comparing workflows to troubleshooting cases, the networking and CPD events are an invaluable component of the ADI’s mission to improve the way implants are delivered.

Take the next step in your professional journey and further your expertise by joining the ADI, opening the doors to the latest changes in the world of implants. For more information about the ADI, visit www.adi.org.uk Join today 

www.the-probe.co.uk

The latest releases to streamline your implant workflow have now arrived from BioHorizons Camlog Group – the 3.8mm regular platform and the direct-to-multi-unit screw. These brand-new additions to the portfolio enhance immediate and full-arch treatments, making them more efficient than ever before.

The 3.8mm diameter Tapered Pro Conical implant now available with 2 connection options means greater versatility. Full-arch cases can be performed with a single prosthetic platform, making each abutment interchangeable across all implant sites. The two connection options – narrow and

one

regular, enhance prosthetic flexibility, particularly in cases of limited bone volume.

The direct-to-multi-unit abutment screw removes the necessity for intermediate components like titanium bases or copings, offers precise angulation of up to 25°, boasts an enhanced screw diameter for optimal force distribution, and much more.

Together, these two innovative portfolio additions promote workflow simplicity, patient comfort, and time-saving benefits –both in the lab and the chair. n

bond to rule them all

For a bond you can rely on in any clinical situation, discover the ONE COAT 7 UNIVERSAL bonding agent from COLTENE.

Suitable for use in all indications – including both direct and indirect restorations ¬– and with any etching techniques, the solution provides an exceptional bond value and an excellent marginal seal for compete peace of mind. The light-cure material requires no priming or silanising, allowing a fast and efficient professional workflow and shorter treatment time for the patient.

In addition, the ONE COAT 7 UNIVERSAL is an extremely economical solution, with 300 applications per bottle.

To find out more about the one bond you need for every case, contact COLTENE today.

For more on COLTENE, visit www.colteneuk.com/one-coat-7-universal email info.uk@coltene.com or call: 0800 254 5115.n

The RVG 5200 intraoral imaging system from Carestream Dental makes diagnostics both reliable and economical. It offers the ideal entry point to digital radiography, featuring easy-to-use sensors for fast and reproducible data capture. Providing images with a true resolution of 16 Ip/mm and various customisable settings, the system affords the detail required for accurate diagnostics. It is also user-friendly, with a sharpness filter to show contrast changes in real time.

If you’re looking for sophisticated imaging technology that is simple to use but doesn’t compromise in quality, find out more about the RVG 5200 from Carestream Dental today. For more information on Carestream

Bust bacteria with the new duo in town

There are many great duos: Batman and Robin, Simon and Garfunkel, Watson and Holmes. But when it comes to oral health, there is only one duo that matters.

The Super Duo pack from Curaprox achieves a 100% tooth clean by bringing together the CS 5460 toothbrush with the CPS interdental brush. Both offer an excellent oral hygiene experience on their own, but only together can effectively free every tooth surface from harmful bacteria.

With its vibrant colour options and powerful yet gentle filaments, the CS 5460 brush head is three times denser than the average toothbrush. To access the areas that the toothbrush cannot, the Super Duo contains the CPS interdental brush in both 07 and 09 sizes for optimal hygiene outcomes.

Complimenting the set is a duo-holder, allowing both interdental brushes to be held simultaneously, making it easier to alternate between them.

When it comes to oral hygiene routines, no pairing is better suited to protecting the teeth than the Super Duo from Curaprox – recommend today.

To arrange a Practice Educational Meeting with your Curaden Development Manager please email us on sales@curaden.co.uk

For more information, please visit curaprox.co.uk and curaden.co.uk n

defining and promoting value at dental directory A culture routed in support

Dean Hallows, Managing Director at Dental Directory, defines what value means to the company when supporting the dental profession:

“Competitive pricing is important but at Dental Directory, value is everything that comes with every product we provide. We strive to ensure excellent customer service, efficient response to queries, technical support, equipment maintenance, and so much more.

“We’re not just here to supply a product and leave the customer to it. We’re here to provide a turnkey solution that helps dental teams elevate the standard of care that they give to patients, helping them maintain

When your patients need advanced root canal treatment, you want them in the very best hands. At EndoCare, that’s exactly what we deliver.

Our team of highly trained and vastly experienced professionals combines cuttingedge technology with years of expertise to achieve outstanding results in wide rnage of complex treatment solutions. Why refer to EndoCare?

* Quick, secure online referral form

* Multiple specialists for unrivalled convenience

* Full communication and treatment reports

* Patients returned to your care after completion of the referral treatment

* Ongoing support available to you as needed

those standards over time in an economic, efficient and reliable way.”

To see for yourself how the extensive product and services portfolio from Dental Directory could give your business a boost, contact us today.

For more information on the products and maintenance services available from Dental Directory, please visit ddgroup.com or call 0800 585 586 n

Dentistry can be an isolated profession, but by joining DeNovo, Partners can gain access to central support, expertise, and exciting new growth opportunities.

DeNovo operates a unique shared ownership model, which gives vendors 100% of their practice value upfront, with multiple opportunities for additional wealth generation post-sale – all while providing total practice autonomy.

Our entire business is based on a culture of support and partnership. Our support team has deep experience in dental practice operations and provide central support services to Partner dentists to leverage as and when they need.

We enable Partner dentists the ability to provide group equity to their team,

and partnership

cultivating team member engagement and rewarding them for the practice growth they help achieve. These shares give everyone a seat at the table, creating a collaborative environment in which all opinions are valued and listened to.

To see how our model works and what it could mean for your business, contact us today.

Find out if DeNovo is right for your practice’s future by visiting the website todayn

Referring couldn’t be easier. Simply complete the online form, and we’ll arrange everything directly with your patient.

Trusted care. Seamless process. Exceptional results. That’s the EndoCare promise.

For further information about the endodontic referral services available from EndoCare, please call 020 7224 0999 or visit www.endocare.co.uk n

With the correct servicing and maintenance, high-quality decontamination equipment can last years – even in the busy dental practice environment. The Eschmann Care & Cover programme makes this a reality, offering all the tests, maintenance and validation needed each year to increase longevity and keep your Eschmann equipment operating efficiently. But don’t just take our word for it. Tracey Cage, Practice Manager at Kelvin House Dental Practice, comments on having had their autoclave for more than 16 years:

For more information on the highly effective and affordable range of decontamination solutions available from Eschmann, please visit eschmann.co.uk or call 01903 753322 n

“Both the products and the Care & Cover service offering from Eschmann have worked perfectly for us. We would absolutely recommend Eschmann equipment and the Care & Cover maintenance programme. The entire team have done a fantastic job and we have no complaints at all. The fact that one model lasted 16 years and we have another that is already 12 years old speaks volumes for the quality of the product and service.”

Your easy entry into single-visit dentistry A customer-led approach

Single-visit dentistry utilising chairside manufacturing opens a world of possibilities for dental practices, reducing reliance on outsourcing and turnaround times, ensuring a more efficient experience for patients.

Having worked with dental professionals for over 50 years, Clark Dental is able to provide bespoke dental equipment recommendations depending on your unique requirements. CEREC® Go enables you to produce dental crowns two times faster than 3D printing, offering clinicians an easy entry into singlevisit dentistry. With super fast grinding, clinicians can provide crowns, inlays, and

onlays, for natural-looking, strong results.

For more information, please get in touch with the helpful team.

For more information call Clark Dental on 01268 733 146, email info@clarkdental. co.uk or visit www.clarkdental.co.uk n

safe sharp solutions with Initial Medical

In dental practices, maintaining the highest standards of safety and hygiene is vital to protect patients and clinicians from healthcare associated infections. But what if you could do so while also reducing your environmental impact?

The puncture-proof sharps bins from Initial Medical are available in a range of sizes for your dental practice, and are now made with at least 40% recycled plastic. This allows clinicians to safely segregate and dispose of needles, syringes, and other sharps in our colour-coded, compliant containers, in line with Health Technical Memorandum 07-01, while actively helping to reduce plastic waste. Clinicians can make a sustainable choice for their business without compromising on safety and find expert support from the Initial

If you’re looking to take your first steps towards effective orthodontic care, choose the Clear Aligners (Level 1) course from IAS Academy. The course covers diagnosis, assessment and case selection, ensuring clinicians can confidently prepare treatment for suitable cases, and know when to refer for more advanced needs.

Medical team, including insights to improve their waste workflow.

Contact Initial Medical today or visit their website to learn how their Eco Sharps Bins can benefit your dental practice and the environment.

To find out more, get in touch at 0808 304 7411 or visit the website today: www.initial.co.uk/medical n

At Dental Directory, we take a customercentred approach to everything that we do. That means listening to the challenges you face in practice, understanding your business, adapting to meet your needs and delivering the support you ask for.

The feedback we receive from customers and the wider profession is constantly being used to elevate our services.

Dean Hallows, Managing Director, comments:

“Everyone at Dental Directory is focused on the customer. All our teams share the same goals to ensure a consistently excellent and highly professional customer experience, no matter which area of the business they are in contact with. We are

committed to building what we believe will be the best fullservice dental distribution service out there.”

Discover how working with Dental Directory could benefit your practice today. For more information on the products and maintenance services available from Dental Directory, please visit ddgroup.com or call 0800 585 586n

reduce admin workload with IcP

Your administrative team already have lots to do every day, don’t make your dental plan another source of stress!

IndepenDent Care Plans (ICP) offers a range of dental plans that work hard so your team doesn’t have to. They are designed to streamline the professional workflow, be simple to set-up and easy to maintain over time. They are also supported by highly experienced ICP Business Development Consultants, who understand the challenges your team faces and are on hand to help overcome them. From tailoring the plan design to introducing it to patients, they will be there every step of the way.

To find out more about how an ICP dental plan could help you streamline your team’s workflow, contact us today! For more information and to book a no-obligation consultation, please visit ident/co.uk or call 01463 222 999 n

toothache relief in two minutes

For essential information, and to see the full range of Orajel products, please visit https://www.orajelhcp.co.uk/ n Begin

Clinicians will also enhance skills for interproximal reduction (IPR) and occlusal planning and retention, before an extensive hands-on session in the afternoon. This gives dental professionals the opportunity to develop confidence before returning to the practice. Following the course, delegates are able to access the online mentoring support forum,

Fast.

The new Midas 3D printer from SprintRay is unlocking the full potential of 3D printing in the dental practice.

As the first-ever Digital Press Stereolithography-based technology, it is resin viscosity-agnostic solution. This means that lower viscosity resins can be used to deliver more accurate restorations in less time than conventional 3D printers – 45 minutes is all you need.

The Midas is also easy to use for clinicians, with the AI Studio generating AI-driven designs ready for customisation, saving you time and hassle.

It also offers a small footprint, requires zero team training and delivers an affordable

where they can speak with IAS Academy tutors about cases and receive advice and insight where needed.

Find out more about how you can start a career in orthodontic dentistry by contacting the IAS Academy team today.

For more information on upcoming IAS Academy training courses, please visit www.iasortho.com or call 01932 336470 (Press 1) n

Give patients control over their pain. Orajel™ Dental Gel enables patients to apply benzocaine, a powerful local anaesthetic, directly to the painful area –rapidly reducing pain in two minutes or less.

Only 16% of patients find oral analgesics act quickly against toothache, resulting in pain for longer. With 63% of patients identifying speed as a priority when it comes to pain relief, recommend the solution which offers rapid relief, which lasts for up to two hours.

To find out more about the range of solutions from Orajel, please visit the website and get in touch.

chairside workflow that puts sameday dentistry within the grasp of more patients than ever before.

In short, the Midas from SprintRay is revolutionising the restorative workflow. Be part of the Midas story. Be part of the future of dentistry.

For more information, please visit https:// sprintray.com/en-uk/ n

The 3M™ Clinpro™ Clear Fluoride Treatment from Solventum, formerly 3M Health Care, makes appointments simple and effective for clinicians and patients alike.

By combining a fast and easy application with effective fluoride uptake, requiring just 15 minutes contact time, appointments are streamlined to fit into a patient’s day, and allow clinicians to support more individuals.

A unique press and go L-Pop™ single dose delivery system makes the formula fast and easy to apply. It also gives great control when applying the product, as clinicians swipe the water-based formula onto the teeth smoothly. The package can be bent and dispensed onto a gloved hand as an alternative, and equally simple, method of use. For comfort in your workflows, look no further

than solutions from Solventum. Contact the team today to learn more.

To learn more about Solventum, please visit https://www.solventum.com/en-gb/home/oralcare/

For more updates on trends, information and events follow us on Instagram at @solventumdentalUK and @solventumorthodonticsemea ©Solventum 2024. Solventum, the S logo and Clinpro are trademarks of Solventum and its affiliates. 3M is a trademark of 3M company. n

second-to-none knowledge of the market A winning combination

Alex Ogden reflects on his experience of working with Dental Elite to sell Beyond Dental, Cheltenham:

“I had been talking with Phil Kolodynski from Dental Elite for some years about exit plans and found him to be very helpful even prior to us going to market.

“My overall experience with Dental Elite was very good. The sale process happened as Phil said it would. The team’s expertise in what the buyer was looking for and how the figures should look where great.

“There were some challenges and delays but these were dealt with by Dental Elite, who got us to completion. As such, the transaction took longer than I thought, but the final result meant we achieved more than we had planned for the practice.

DeNovo Dental Partners is new to the UK market, bringing with it an innovative practice sales model.

Unlike traditional buyers in the market, we don’t hold back any consideration. Our Partner dentists receive 100% of the value of their business upfront, with the majority paid in cash and the remainder in group equity in the broader DeNovo parent company. Additionally, there are wealth generation opportunities for Partner dentists for the years post-sale, actively incentivising and rewarding practice growth.

All of this is underpinned by complete practice autonomy. Partner dentists retain the power to run their practices as they

“Dental Elite has a great team and Phil’s knowledge of the market and what buyers need is second-tonone.”

Find out more about how Dental Elite could help guide the sale of your practice to a successful completion today.

For more information on Dental Elite visit dentalelite.co.uk, email info@dentalelite.co.uk or call 01788 545 900n

SOLO brushes from TANDEX are special small-headed, long handled brushes that can help patients achieve optimal hygiene in hardto-clean areas, such as around orthodontic brackets and wires, and posterior or crowded teeth.

PREVENT Gel is an excellent and simple addition to provide the long-lasting antibacterial and remineralising effects of 900 ppm fluoride and 0.12% chlorhexidine. Together, SOLO brushes and PREVENT Gel help patients remove, and prevent the proliferation of biofilm. The handmade head of SOLO brushes is made up of soft, rounded bristles that provide a gentle and effective clean for teeth and gingiva. Each brush is available in Soft, Medium, UltraSoft and Long, to suit every patient’s needs.

PREVENT Gel has a pleasant, minty taste, and is non-abrasive for optimal comfort, making it an easy recommendation to enhance your patients’ oral hygiene routines. Visit the website to find out more! For more information on Tandex’s range of products, visit https://tandex.dk/ Our products are also available from DHB Oral Healthcare https://dhb.co.uk/ n

see fit, protecting their legacy and having direct influence on the growth they can achieve.

Interested in knowing more?

There is room for new Partner dentists who are excited and ambitious about the future of their practices. If this is you, contact us today. Find out if DeNovo is right for your practice’s future by visiting www.denovo.partners todayn

Fast and reliable 3d printing for dental restorations

Brought to you by the only dental-specific manufacturer of 3D printing solutions – SprintRay – OnX Tough 2 offers all the speed and durability you need in a restoration.

The high-strength resin featuring patented NanoFusion™ technology is perfect for hybrid and implant-supported denture prosthetics, monolithic removable dentures, and preformed denture teeth. Part of the seamless digital workflow made possible by SprintRay, OnX Tough 2 enables the 3D printing, washing and curing of an all on 4 fixed hybrid denture in just 30 minutes, significantly boosting efficiency and patient access to quality care.

This advanced material and integrated

Expertly designed products by TANDEX provide efficient at-home tools to help patients maintain oral hygiene. Offering the most effective oral health maintenance, TANDEX utilises high-quality ingredients and materials that support enamel reparation and protection against disease.

TANDEX FLEXI Interdental Brushes are specifically designed to treat each patient with an individual care plan. With tailored treatment via TANDEX’s 11 different colourcoded brush sizes and designs, dental teams can assist in specifying the correct product for them. The individualisation even extends to explicit requirements such as patients with braces, with a long, tapered brush to maximise oral health across the board.

workflow empower dental professionals to produce reliable restorations faster, enhancing clinical outcomes and practice productivity while elevating the patient experience.

Discover how OnX Tough 2 could redefine your restorative dentistry –contact SprintRay today.

For more information, please visit https://sprintray.com/en-uk/n

There is much to consider when creating or renovating a dental practice, including hygiene, accessibility, and ensuring you’re able to provide high quality care. It can also be a very personal experience, reflecting you and your team’s tastes and practice branding.

The team at Clark Dental has 50 years of experience working with dentists to create their ideal space, taking the pressure off your shoulders to ensure the process is a smooth as possible. Additionally, our design service includes a bespoke 3D render, allowing you to visualise the outcome.

To discover the range of services and equipment from Clark Dental get in touch with the team and visit the website today.

clean like a pro

Starting the day with a reliable and effective oral hygiene routine boosts self-confidence and sets patients up for a productive day ahead, ensuring that their smile is bright and their tooth surfaces are free from harmful bacteria.

Curaprox puts the ‘pro’ in professional with the Hydronic Pro, a game-changing electric toothbrush that marries a sleek, minimal aesthetic with thunderous cleaning power, all within a design waiting to be personalised.

Whether utilising the angled Single brush head for careful attention to implants or wisdom teeth or harnessing the Power brush head at the highest cleaning mode for to wage war on plaque and staining, the Hydrosonic Pro offers a variety of combinations.

At 84,000 brush movements a minute, the ultra-fine Curen filaments reliably remove

bacteria whilst still providing a gentle experience, ensuring that patients begin each day with a fresh feeling. Recommend the Hydrosonic Pro today.

To arrange a Practice Educational Meeting with your Curaden Development Manager please email us on sales@curaden.co.uk

For more information, visit www.curaprox.co.uk and www.curaden.co.uk n

restorative efficiency, aesthetics and longevity

The PREVENT GEL elevates oral care further still – an excellent supplement to patients’ daily cleaning routines. The enamel strengthening and antibacterial properties surpass regular, everyday dental hygiene practice. The gel contains the oral disinfection gold standard of 0.12% chlorhexidine. Combining this with the meticulously-designed brushes allows for localised, patient-controlled oral health. Our products are available from www. tandex.dk and DHB Oral Healthcare https:// dhb.co.uk/n

tandex.dk

The BRILLIANT Bulk Fill Flow from COLTENE represents the next generation of bulk fill composites.

It is designed for the delivery of highly reliable restorations and efficiency-driven dentistry, facilitating fast, predictable and aesthetic restorations for posterior teeth. Dependable polymerisation is achieved in just 20 seconds in an up to 4mm curing depth for ease and speed of handling. This is further supported with no need for a top layer.

Featuring high abrasion resistance and available in one adaptive multi-shade option, it optimises workflow efficiency with no compromise in strength or longevity. Upgrade your dentistry to optimise restorative efficiency, aesthetics and

longevity with COLTENE. Find out more today.

For more information, visit www.colteneuk.com/BRILLIANT_Bulk_ Fill_Flow email info.uk@coltene.com or call 0800 254 5115.n

colteneuk.com/BrILLIANt_Bulk_Fill_Flow

Not all sickness cover is created equal

simon cosgrove, Dental Regional Manager and qualified Specialist Financial Adviser at Wesleyan Financial Services, explains why ‘own occupation’ matters for dentists

Iwas talking to a young dentist a few years ago about financially protecting himself against being unable to work. He confidently told me: “I never get ill.” When I next saw him 12 months later, he had been unable to work for a couple of months due to being diagnosed with a serious illness.

Many of us think we’re invincible when, of course, we’re not. And nationally, the problem has been worsening over the last few years. According to figures from Statista, in the second quarter of 2025, an estimated 2.78 million people were on long-term sick leave in the UK. This figure has been rising considerably since 2019, when there were just over two million people unable to work – an increase of nearly 40% over that period.

The reasons behind this rise remain uncertain. In 2022, many reported mental health problems: around 313,000 people mentioned mental illness, and 282,000 said they had depression. This is backed up by the claims experience we’ve seen at Wesleyan. The most common claim under our income protection policy in 2024 was for mental health (33% of claims), with the second being musculoskeletal issues (19%).

Covid-19 also played a role, with around 1.8 million people saying they had Long Covid symptoms in April 2022. Most people off work due to illness are over 50, but the number of younger people affected has grown quickly. Between 2019 and 2022, 140,000 more people aged 16 to 34 were off sick long-term, compared to

just 32,000 more in the 35 to 49 age group. So, the vulnerability of being unable to work isn’t just restricted to the over-50s.

This increased prevalence of longterm sickness means that it’s more important than ever to ensure that the cover you have is suitable for your individual circumstances.

Two of the main types of protection against illness are income protection and critical illness cover. Income protection pays a regular, taxfree income (until the end of the chosen benefit payment period) which ensures that people are able to maintain their standard of living if they’re unable to work due to accident or sickness. Critical illness cover, on the other hand, pays a lump sum on the diagnosis of a serious, defined illness.

Although one provides an income and the other pays a lump sum, both share a vital feature: they’re defined by the inability to work. In critical illness cover, this falls under the Total and Permanent Disability section of the policy.

There are three main definitions of being unable to work that insurance policies can have: “own occupation,” “suited occupation,” and “any occupation.”

The most comprehensive definition is own occupation. This ensures that the policy pays out if you are unable to perform your own job role. The suited occupation definition pays out if you’re unable to perform your own job or any other job for which you’re suited by education, training or experience. Finally, the

any occupation definition is the least comprehensive option, as you can only claim if you’re unable to perform any job at all.

As an example, if a dentist were in a car accident and needed their arm amputated, only the own occupation definition would pay out, because they would no longer be able to practise dentistry. A policy that provided suited or any occupation cover wouldn’t pay out, as the dentist could continue to work – for example, by lecturing at dental schools.

From a dental perspective, it’s important to note that not all insurance companies offer own occupation cover to dentists. This is because several companies consider dentists more likely to be unable to work long-term, so they represent an increased risk. This is likely due to the prevalence of musculoskeletal and mental health issues in the profession.

Many dentists I’ve spoken to in my career have had existing critical illness policies recommended by nonspecialist advisers. Unfortunately, those advisers didn’t realise that the provider didn’t offer own occupation cover for dentists, meaning the cover wasn’t as comprehensive as it could have been.

It’s important to review your existing cover to make sure it’s right for you and your loved ones. The greatest risk isn’t just being unable to work long-term. It’s discovering that you’ve had the wrong policy all along and that you’re not covered at all.

Have #hashtags lost their meaning?

Once upon a time, hashtags were the magic key to social media visibility. You could add a few #trendingtags to your post and watch your reach soar. But lately, the word on the (virtual) street is that hashtags don’t really matter anymore. So, what’s changed? In late 2024, Instagram began phasing out its hashtag following feature – a clear sign that the platform is rethinking how hashtags fit into discovery. Around the same time, Head of Instagram Adam Mosseri clarified that hashtags aren’t a magic growth tool and don’t directly boost reach, despite what many users once believed. They can still help with organisation and context, but the days of cramming 30 hashtags under every post to “hack the algorithm” are behind us. That doesn’t mean hashtags are completely pointless; they’ve just shifted in purpose. Instead of being the main driver of visibility, they now act more like labels. Think of them as a filing system for your content, rather than a growth tool.

For dental practices, this is a big shift. Many practices have relied on hashtags like #Invisalign, #DentalImplants, or #SmileMakeover to reach new patients. But the platforms have evolved and so have the users.

Social media algorithms are a lot smarter than they used to be. Instead of focusing on hashtags, they now prioritise relevance, engagement, and watch time. If your post keeps people interested –whether that’s a before-and-after reel, a patient testimonial, or a quick explainer from the dentist – the algorithm will push it out to more users.

Instagram, Facebook, TikTok and LinkedIn are all placing a stronger emphasis on content quality and user intent. What matters now is whether your post connects with the right audience and encourages them to interact. If hashtags have lost their power, where should you be putting your energy? Here are a few strategies that matter more:

c ontent that actually speaks to people: Forget trying to please the algorithm, think about your patients. What are they curious about? Nervous about? Excited to learn? Content that answers those questions will always perform better than a generic #DentalCare post. consistency and storytelling: Regular posting builds trust, but storytelling builds connection. Share team updates, behind the scenes moments, and patient journeys. This type of content helps humanise your brand and creates a loyal following.

Video, video, video: The rise of short form video isn’t slowing down. TikTok and Reels still dominate engagement, and even platforms like LinkedIn are pushing more video content. Focus on authentic, informative clips that show your team’s personality.

captions that convert: A strong caption can make all the difference. Use it to add value, share insight, or invite engagement rather than just stacking hashtags at the end.

speak to the specialists

To make sure you have the right protection in place for your circumstances, speak to a Dental Specialist Financial Adviser at Wesleyan Financial Services. Visit wesleyan.co.uk/dental or call 0808 149 9416.

Please note: Charges may apply. You will not be charged until you have agreed to the services you require and the associated costs. Learn more at www.wesleyan.co.uk/charges. n

about the author

Having vast experience as a dental specialist financial adviser (sfa) over the years, simon cosgrove is now a Dental Regional Manager at Wesleyan financial services, guiding a team of dental sfas to support dentists, their families, and their practices with financial planning to secure their financial future.

engage, don’t just post: Social media is supposed to be social. Reply to comments, interact with other local businesses, and join in relevant discussions. That activity tells the algorithm that your account is active and genuine.

so… are hashtags dead? Not quite. They’re just no longer the main event. You can still use a handful of relevant ones – maybe three to five per post –to help contextually label your content. But if you’re spending more time picking hashtags than planning your post, it’s time to rethink your approach. Be relatable, be consistent, and prioritise connection. n

about the author abby Leach, social Media Manager, connectmymarketing.com

• Up to 22W power

• Quadruple spray

• Anti-retraction valve

• “Smart coat” - scratch resistant and better grip

• Ceramic bearings

• Available in two head sizes: standard BA695L and mini BA688L

• Quick heating within 15

• 360 degree rotatable injection needle

• Four working modes - forward, reverse, reciprocating and AT

• Can be connect to the Optima

Value beyond invoices – the real cost of downtime

The financial outlays of a dental practice are often monitored based on tangible figures such as invoices, stock, revenue, and more. However, though not as immediately observable, there are multiple overlooked hidden costs within daily operations. Especially damaging events are broken equipment, inadequate technical support, or delayed delivery. These lead to practice downtime, which causes more than merely the immediate inconvenience.

Value over cost

When comparing suppliers, it is common for many practices to prioritise equipment prices and perceived savings on the initial outlay. While seemingly rational, by choosing to work with a reliable supplier, opposed to the cheapest, the hidden costs surrounding downtime can be avoided. This means preventing some of the many financial repercussions that can accumulate quickly when price is the only consideration. A slightly more expensive piece of equipment is far more appealing when it requires less frequent repairs, allowing surgeries to remain active, and in turn, maintain patient appointments, delivering the treatment patients need, when they need it. Breakdowns within a practice cease treatments whilst also generating costs in terms of staff downtime, and appointment rescheduling, as well as increasing the administrative load and requiring time to rearrange appointments. Avoiding these will be more cost-effective over time.

This also entails considering the cost of anticipated maintenance or possible repairs. Value is then reframed; a slightly higher premium is likely far less costly in the long-run when it comes with access to product dependability, reliable engineer support, and consistent stock.

Trustworthy suppliers ensure that practices are not left waiting days for integral spare parts or repairs, which avoids detriment to the business. For example, one singular cancelled day of appointments can result in thousands of pounds in revenue lost, as well as operational and reputational setbacks. When multiplied across numerous days per year, the financial impact becomes profound, especially in the field of work that is already dictated by tight budgets and competitiveness. Additionally, the importance of selecting a strong supplier partnership can be underscored by an assessment of your practice’s loss in hours due to delayed deliveries or lack of stock.

Patient trust is integral

Downtime can significantly impact the trust that patients place in practices. Patients rely on efficiency and coherence which, when denied, can deter them from returning. This loss of confidence and subsequent loss of patients might not be immediately noticeable financially, but will certainly

become visible through reduced loyalty and referrals, and even poor reviews. The damaged reputation can be just as costly as the financial consequences of cancelled appointments, particularly for the future development of the practice. Additionally, the increased marketing fees spent on rebuilding public perception and attracting new patients can become a very costly consequence.

What makes a reliable supplier?

The greatest prevention of downtime is choosing the right supplier. A trustworthy partner will not simply declare their reliability, but prove it. They will: maintain consistent stock availability, guarantee rapid delivery; and provide qualified, trained engineers to fix issues quickly and first time.

Reliable customer care is also represented by the preventative measures that a supplier provides. Compliance checks and regular equipment servicing each assist with preventing the issues that lead to practice disruption. By prioritising these qualities,

“Am I paying for your car?”

Rpractices are investing in a much more beneficial relationship with their partner than purely transactional, protecting the longitudinal success of each practice.

The value in strong partnership Dental Directory is a supplier that has supported practices in avoiding downtime and the risks associated with it for over 50 years. With a portfolio of thousands of products and equipment solutions with speedy delivery, practices avoid running out of stock and being forced to cancel appointments. Furthermore, Dental Directory provides unrivalled technical support via highly trained engineers – on-site within 8 working hours, boasting a 92% First Time Fix Rate. Dental Directory also offers preventative maintenance measures including software updates, equipment servicing, and compliance checks, ensuring that downtime is entirely minimised.

Protecting your practice’s future Ultimately, the greatest cost for practices is never exclusively the amount on the invoice. The right supplier will add value to your practice in ways that assist you overall. Frequent downtime means a much greater loss than mere income, but risks reputation, patient loyalty, staff morale, and workflow efficiency. Choosing a supplier with this in mind is one of the most fundamentally important decisions you can make for your practice. For more information on the products and maintenance services available from Dental Directory, please visit ddgroup.com or call 0800 585 586 n

about the author Dean Hallow, Managing Director of Dental Directory.

Over the last 28 years, ashley Latter has delivered over 34,000 hours of business coaching to the Dental industry all over the world. ashley Latter, author of You are Worth it - How to discuss fees with self-confidence, shares the importance of who you listen to

ecently, on the second day of one of my two-day Ethical Sales & Communication programmes, which I was teaching in London, we were having a conversation about discussing fees. It was an awesome discussion, and the delegates were very open on why they found this part of their job challenging. There were many reasons, ranging from not being taught these skills at dental school to a background in the NHS where everything was free. However, I would like to share one conversation with a dentist and that I believe we can take many lessons from. This dentist openly admitted that he would often discount his fees, 3-4 times a day on average. In his words, ‘it is only £30 here or there’. If you do the sums, this equates to £120 per day.

This dentist works five days a week, 48 weeks a year. (I have always found that dentists that regularly discount often work the longest hours.) I was questioning him on why he does this, and he stated that he thought that dentists had bad press. His perception was that the general public all thought dentists were greedy and wealthy and, on further discussion, it was because a couple of times a year, a patient might say something sarcastic about his fees – something along the lines of, ‘Am I paying for your car? Or your holiday?’

This is likely only 2-3 patients a year, who make these negative comments. It might be in jest, yet these are the patients he listens to instead of the thousands of patients who are happy to pay their fees without any comment at all.

Do you find that this is the case?

We remember the negative feedback but not always the positive. I must admit, I am still working on this myself. I could teach a course and might have 30 delegates raving about the programme, giving me 10/10, yet there could be one feedback sheet with a negative comment and it is that feedback sheet that concentrates my mind. It used to keep me awake at night, although nowadays I am getting a lot better at managing it.

The bottom line though is that this dentist is losing nearly £30,000 in income a year. Over a lifetime this is going to run into hundreds of thousands of pounds. My advice to the dentist was that he must stop this habit now. I went on to tell him that he needs to be very careful about who he listens to and to only take business advice from people who are qualified?

99.9% of his patients are delighted and happy – that is who you should be listening to and not the two or three patients who make a negative comment. I also find that these are the same patients who will be moaning at every shop and restaurant they visit. Be careful who you listen to and ask yourself, before I take on their advice, are they qualified? It might just save you thousands of pounds and a lot of unnecessary discounting. n

about the author

The hidden driver of a successful sale

Purpose-driven and quality focused practices

When it comes to selling a dental practice, there are generally two distinct types of seller mindsets: Those who want to get out yesterday because the practice feels like a millstone, and those who have built a purpose-driven, wellperforming and satisfying working life. The first group often feels pressured and desperate, while the second group does not need to sell, so they can present their business with pride, consideration and as a strong investment case. This distinction matters because it directly impacts the terms, valuation and overall success of the sale.

beyond the numbers

In today’s fast-paced business environment, success is often measured by hard metrics: KPIs, revenue growth and EBITDA. These numbers matter, especially since EBITDA is directly linked to business valuation. A marketleading price depends on what’s behind the numbers. While these outputs are important, they are not the starting point. They are the result of something deeper: a purpose-driven and quality focused alignment.

When work aligns with purpose and is underpinned by quality, practices perform and thrive. Employees feel engaged, patients feel valued, and the business becomes resilient in the face of change.

The power of purpose and quality Purpose is more than a mission statement on a wall. It’s the reason your practice exists beyond making money and treating patients. When principals and their teams share a clear sense of “why”, decisionmaking becomes easier, and motivation becomes intrinsic. People show up not just for a wage, but because they feel part of something.

Quality complements purpose. It’s reflected in the patient experience, how patients feel, the consistency of care, and the reputation your practice builds over time. Together, purpose and quality create a foundation for trust and loyalty – two elements that no spreadsheet can fully capture but every buyer values.

The KPi Trap

Many businesses track KPIs, measurements and profit margins. While these are essential for monitoring and providing insights to drive action, a worthwhile question is: what drives these outputs?

The answer can be rooted in the softer elements that often get overlooked:

• Clear vision and strong culture

• A sense of shared purpose

• Staff satisfaction with their work environment

• Reward and recognition systems

• How you make patients or clients feel

• Communication at every level

These factors are the foundation of sustainable success. They influence how your team performs, how your patients perceive you and ultimately, how your business grows.

Why this matters to buyers

With the rise of corporate operators in the dental sector, the bar for acquisition has never been higher. These buyers are more selective in the current market and are looking for quality indicators beyond financial performance.

On paper, valuation is tied to EBITDA, patient numbers and revenue streams. But what makes a practice truly valuable to a buyer and compels them to offer the asking price? It’s the quality markers that demonstrate sustainability:

• A stable, engaged team

• Consistent positive reviews from patients

• A reputation for exceptional care and communication

• Low staff churn rates

• Strong recall rates

These indicators not only reflect operational health but can add significant value to the sale of your practice. They are outcomes of a strong culture and purpose-driven leadership. This makes it even more critical to focus on the foundations of a stable team and cared-for patients. A practice with strong culture, low staff turnover and excellent patient experience signals long-term sustainability and will maximise the sale value.

Practical

steps to align work with purpose and

quality

1. Define your “why” – go beyond profit. Why does your business exist? What impact do you want to make on your patients, clients or community?

2. Communicate relentlessly. Purpose isn’t a one-time announcement. It needs to be reinforced in meetings, performance reviews and everyday conversations.

3. Measure purpose and quality. Introduce KPIs that measure customer service and reputation.

4. Recognise and reward staff often – Make it specific to the behaviour they exhibit.

5. Invest in experience and your people. Both employee and patient experiences matter. A positive environment leads to loyalty, referrals and reputation.

conclusion

When businesses align work with purpose and quality, they create a virtuous cycle: engaged teams lead to satisfied patients, stronger financial performance and a happy owner with fewer issues to solve day-to-day. Yes, EBITDA matters, but do not overlook something far more human: vision, culture and connection. The next time you review your KPIs, ask yourself: “What inputs are driving these numbers, and how can I strengthen them to create a practice that is satisfying, meaningful and resilient – one you enjoy running today and can present with pride when the time comes to exit?” n

the author

Making dental finance easy

At PFM we often see the struggles of dentists trying to arrange finance on their own. Whether it be an individual looking to buy their first practice, or an existing practice owner looking to refinance, relocate or expand, often weeks can go by and nothing has been sorted. This can be caused by a lack of clear understanding of what is required, not knowing exactly who they should be going to, or their own personal time restrictions. However, there is plenty of help out there, with some finance brokers, like PFM, not charging to arrange finance. The benefits of having a dental specialist broker are plentiful.

increased chance of loan approval

You want to put your best foot forward upon your first approach to the bank. Being able to do so rests on understanding what the bank are looking for, what questions they need answering, and ensuring that the deal is structured correctly. The role of the broker is to challenge the deal just as the bank’s credit team would, to answer concerns before they are raised and give you the upper hand. The key is honesty – even if there are downsides of the deal, these should be presented at the outset so that your broker can work collaboratively with the lender to find potential solutions.

The detail of a loan offer will depend on how detailed the initial loan application is. A loan offer based on minimal information has less chance of getting through the credit process. Submitting all the information at outset allows you to get the best offer from the lender. Having a broker who understands practice valuations and the practice sales process alongside lender requirements is priceless.

speed

Using a broker gives you the gift of time. A broker will approach all prospective lenders on your behalf and give you a single summarised report with all of their feedback. This will usually take around 48-72 hours. Unaided, it could take you this time alone to prepare your application for each lender.

When it comes to new healthcare loans, gone are the days where loyalty always pays off by going to your existing bank. Whilst the occasional lender can provide slightly better terms if you already bank with them, your best option is to search the whole market just as you would for a residential mortgage.

From our experience, it should also be noted that general managers and relationship managers are not able to give as competitive rates as the dedicated healthcare business development managers (that intermediaries use) from the same banks.

Get the best rates

Brokers deal with rates all day, every day. They know where they can negotiate, and which lenders will best suit your requirements. Based on the number of cases they see, brokers also have the benefit of being able to provide market feedback to the lenders – helping them structure their offers more competitively to win your business.

The lenders are also driven to provide brokers with their best terms to motivate brokers to continue to bring business to them. When dealing with a broker, the banks know they are competing against one another and need to put their best offer forward. This has proven invaluable in recent months, with new lenders entering the market and existing lenders subsequently expanding their lending criteria to compete with the growing market. Some lenders now offer a 0% arrangement fee, and we are seeing some interest rates at <2% plus Bank of England Base Rate.

What will it cost you?

It is important to look for a broker who is registered with the National Association of Commercial Finance Brokers (NACFB) as they must meet regulatory requirements. Most banks will also pay NACFB registered brokers a procuration fee although this does not affect what you are charged. Some brokers, even if they are registered with the NACFB, may charge an additional fee on top of the procuration fee that they receive – so make sure you know what their charges are before instructing. PFM Dental are one of the few brokers who do not charge a standalone broker fee for commercial finance.

https://pfmdental.co.uk/

The UK’s no.1 provider of dental apprenticeships and training

Upskill your team or benefit from a brand new apprentice

Starting January 2026

Level 3 Dental Nursing Apprenticeship

Level 4 Dental Practice Manager Apprenticeship

Level 4 Oral Health Practitioner Apprenticeship Certificate in Dental Radiography

Fluoride Varnish Application & Plaque Indices

Dental Sedation Nursing

Final spaces remain

Starting February 2026

National Diploma in Dental Nursing

Starting April 2026

Certificate in Orthodontic Nursing Register your interest

A strategic approach to career building

Finding a new job is more than just moving practices, it is an investment in your future. That’s why it’s so important to make your decision carefully and to find a role that will allow you to both develop and flourish. It is important to take a strategic approach to each position you take on. This means setting yourself some goals and driving your career development in a way that will help you to achieve your ambitions.

sMaRT career goals

Just as the SMART principles are applied to marketing and other business targets, they offer a useful tool for professional development. By following the concept, you will create career objectives that are Specific, Measurable, Achievable, Relevant and Time-bound. This ensures that aspirations are tailored to you and your interests, and that they can be monitored so that you know you’re on track. The framework also ensures that goals are realistic and that there is a deadline to reach each milestone.

Some career objectives that follow these guidelines may be to start delivering fixed orthodontics to patients within the next two years, or to increase the number of implants placed to 25 in a year. Other examples may be to establish and host a monthly study club dedicated to endodontics in 6 months, or to buy your own practice in 5 years.

Whatever your ambitions, clearly defining them will be key to driving your personal and professional growth. Your objectives will also be critical to any decisions around new job roles.

new job, new you

In fact, your career goals may be the reason that you look for a job vacancy in the first place. If your current practice doesn’t have the capacity or opportunity to accommodate your aspirations and allow you to grow in the area you wish, then finding somewhere that will facilitate this will be a priority. Your targets will also influence your choice of new practice – if hoping to develop within dental implantology, you’ll need to join a practice that can offer the appropriate clinical mentorship and support specifically in the field. Should your interests lie in facial aesthetics, it might be more advantageous to find a practice that doesn’t currently provide the service at all, reducing the competition you would face and creating exciting opportunities for you and the business to grow.

Prepping for success

When preparing for the next step in your professional journey, it is important to understand the broader market. A little research into average UDA rates for the area you’re looking to stay in or move to, average pay for associates in different disciplines or with various years of experience, and even general patient need for the area will offer insight into the jobs available.

Your CV and professional portfolio should then be tailored according to your research. It should present the very best of you while highlighting the value that you will bring to the practice you join. Where you can include previous achievements such as an increase in new patients, communitybased projects you ran or income you have generated for previous businesses, this offers tangible evidence of your worth. From here, attention will turn to the interview process. This is no longer just your opportunity to impress a potential new employer, but rather, it should be a twoway conversation with both parties selling themselves. As such, you are assessing the practice as much as the manager or principal in front of you is evaluating you. Be prepared to engage, to ask questions, and to really get a feel for what working in the practice would be like. Think beyond pay too – consider the clinical support, mentorship, autonomy, flexibility, education and training available to you.

seizing opportunities

For anyone looking for a new job right now, it is a candidate’s market. The recruitment challenges experienced by practices nationwide mean that most are offering highly competitive opportunities for the right clinician. Be sure to use this to your advantage by discussing any additional value a potential new practice is willing and able to offer to the right candidate. You will be able to utilise your experience, your skills, and your value to the business to leverage the most mutually-beneficial contract. Of course, while candidates are well-positioned to find a great role in today’s

Quality and affordability

There are many reasons why a patient might decide to look for a new dentist or change which dental practice they attend. Some are unavoidable, such as moving house and relocating, but others can be influenced by the practice’s service offerings and actions. A major concern for many individuals and families is cost, so it’s important that dental teams understand the challenges and implement solutions that enable patients to access the high-quality dental care they need.

Money matters

Cost is a key driver for many purchasing decisions today. When buying anything from household appliances to cars, clothing and food, we all have to balance cost and value. The latter is subjective and will depend on our specific financial situation, personal preferences and expectation, but ultimately, we’re looking for items that meet our needs at a price that we find acceptable.

Though recommendations from family and friends are important, we regularly turn to the internet to search for the best deal. One consumer study found that

85% of participants shopped around online before making a purchasing decision on goods or services, with most looking to save money.

This is the same approach that many patients take towards their dental care. For some, they may need to sacrifice something else to afford their next dental appointment, so they will search for a practice they feel provides affordable and good value care.

Value over cost

Consequently, it is important that dental practices communicate both the value of good oral health and their service offering. Particularly in online marketing, including on social media, it is necessary to educate patients on the life-long benefits afforded by investing in their dental care. By helping them to appreciate the advantages to their dental and systemic health that come from preventing oral diseases, practices can lay the foundations for more productive conversations in the practice. This is where the patient-practitioner relationship is really built, with effective communication at the core of a patient’s trust in their dentist.

market, it is still crucial to sell yourself to secure the job you want in the best possible practice for you.

For bespoke support in finding the most appropriate vacancies and presenting yourself in the strongest way, work with the recruitment experts from Dental Elite. They have years of experience helping dental professionals accelerate their career progression with new roles that unlock exciting opportunities to grow. Whether you’re seeking full-time, locum or other work, give us a call today!

shaping your future

A career in dentistry can take various different paths, each as rewarding and fulfilling as the other. Which direction you take will depend on your personal interests and clinical strengths, but strategically guiding your career towards identified goals will help you achieve your objectives faster and more effectively. This will often coincide with finding a new role, which can be done very successfully with a little planning and support.

For more information on Dental Elite visit www.dentalelite.co.uk, email info@dentalelite.co.uk or call 01788 545 900 n

about the author adam neeves, Recruitment consultant at Dental elite.

For the more financially motivated patients, there is also a point to be made about saving money in the long-run by avoiding the development of a dental infection or other issue.

financial support

In addition to patient education and putting health first, there are ways for practices to make dental care more affordable for more patients too. A dental plan provides an effective way for patients to more easily budget for their ongoing dental appointments. By spreading the cost of care over smaller monthly premiums, they don’t have to worry about a separate bill when they visit for a check-up. Committing to the plan can also bolster patient motivation to attend the practice as recommended or accept a treatment plan, making the care they need more accessible.

IndepenDent Care Plans (ICP) provides solutions that are tailored specifically to your practice and your patients for the very best results. We have more than three decades of experience to draw from, putting us in a strong position to help elevate your business to the next level. Our ICP Business Development

Consultants will design your bespoke and practice-branded plans with you, remaining available for advice and support even once everything is in place.

find out more today!

For more information and to book a no-obligation consultation, please visit ident.co.uk or call 01463 222 999

Celebrating 30 years in UK dentistry n

about the author

Dr Robert Donald, Director, indepenDent care Plans.

Unrivalled Ergonomics

Unrivalled Ergonomics

Unrivalled Ergonomics

Unrivalled Ergonomics

Our exclusive TrueFit® Technology analyses your unique facial features and working posture to deliver comfort, perfect visual alignment, and lasting ergonomic support.

Our exclusive TrueFit® Technology analyses your unique facial features and working posture to deliver comfort, perfect visual alignment, and lasting ergonomic support.

CUSTOM MEASURED • CUSTOM FITTED • CUSTOM MADE

CUSTOM

CUSTOM MEASURED • CUSTOM FITTED • CUSTOM MADE

CUSTOM

Turn static files into dynamic content formats.

Create a flipbook
Issuu converts static files into: digital portfolios, online yearbooks, online catalogs, digital photo albums and more. Sign up and create your flipbook.