The Probe August 2025

Page 1


For over 50 years we’ve been supporting practices with a comprehensive range of specialist products, experience and services for dentists in the UK and ROI.

We don’t stop there though. We also support practices with the streamlined solutions they need to run successfully, from training and compliance to equipment servicing with on-call maintenance backup.

You’ll find everything in one place, so it’s easier than ever to make DD your first choice for consumables, equipment, aesthetic supplies and repairs & servicing.

With DD by your side, there’s always more to smile about.

A welcome from the editor

It’s often the way. We press the big green button to put another issue of The Probe to press and, just as the printers finish bringing the UK’s biggest dental journal to life, some huge news breaks.

This was the case last month, when the government announced the 10-Year Health Plan for the NHS. However, there’s a benefit of having some time to sit on the story before the next issue of the magazine is due, as we’ve had time to fully digest the news, and gain further insight into what the plan means for dentistry and oral health.

On the next page, Sara Hurley describes how dentistry has waited in the wings of national health strategy for too long, but how with this plan, oral health takes centre stage at last. Read the former Chief Dental Officer’s article, ‘The 10-Year Dental Plan: From vision to action’ on page 6.

And, on page 10, Oral Health Foundation Chief Executive Nigel Carter ponders why dentistry remains on the sidelines of NHS community reform, stating that ‘despite decades of discussion about integrating dentistry into the wider health system, it remains structurally isolated’. I’ll take my leave to allow you to get reading – as there’s plenty more to get your teeth into in this issue. As always, for up-to-the-minute breaking news, the-probe.co.uk has you covered!

The Probe is published by Purple Media Solutions.

Registered in England.

Registered number 5949065

Managing Editor: James Cooke

Commercial Director: Gary Henson

Divisional Administrator: Francesca Smith

Production Designer 1 : Lorna Reekie

Production Designer 2: Rob Tremain

Digital Content Manager: Stephen Wadey

Circulation Manager: Andy Kirk

Managing Director: Ed Hunt

Regular Contributors: Lisa Bainham, Nigel Carter, Barry Cockcroft, Ollie Jupes and Pam Swain

E-mail news, stories or opinion to james.cooke@purplems.com

Circulation/Subscriptions: The Probe Subscriptions, Perception SaS, PO Box 304, Uckfield, East Sussex, TN22 9EZ, Tel: 01825 701520, https://purplems.my-subs.co.uk ©Purple

Media Solutions Ltd, 2014. All rights reserved. ISSN 0032-9185. The publisher’s written consent must be obtained before any part of this publication may be reproduced in any form whatsoever, including photocopies, and information retrieval systems. While every effort has been made to ensure that the information in this publication is correct and accurate, the publisher cannot accept

liability for any consequential loss or damage, however caused, arising as a result of using information printed in this magazine.

The views expressed in The Probe are not necessarily the views of the magazine, nor of Purple Media Solutions

Editorial Advisory Board: Dr Barry Oulton, B.Ch.D. DPDS MNLP; Dr Graham Barnby, BDS, DGDP RCS; Dr Ewa Rozwadowska, BDS; Dr Yogi Savania BChD, MFGDP; Dr Ashok Sethi, BDS, DGDP (UK), MGDS RCS; Dr Paroo Mistry BDS MFDS MSc MOrth FDS (orth); Dr Tim Sunnucks, BDS DRDP; Dr Jason Burns, BDS, LDS, DGDP (UK), DFO, MSc; Prof Phillip Dowell, BDS, MScD, DGDP RCS, FICD; Dr Nigel Taylor MDSc, BDS, FDS RCS(Eng), M’Orth RCS(Eng), D’Orth RCS(Eng); Mark Wright BDS(Lon), DGDP RCS(UK), Dip Imp Dent.RCS (Eng) Adv. Cert, FICD; Dr Yasminder Virdee BDS. Readers who

Dr Zaki Kanaan ADI President
Dr Neil Harris Clinical Director HRS Dental Care
Dr Nick Fahey Principal Dentist Woodborough House
Sara Hurley Former Chief Dental Officer, England Ollie Jupes Former NHS dentist Dentist Gone Badd
Dr Nigel Carter OBE Chief Executive Oral Health Foundation
Simon Cosgrove Dental Regional Manager Wesleyan Financial Services
Abi Greenhough Managing Director Lily Head Dental Practice Sales

NHS 10-year plan unveiled Dr Helen Phillips named

On Thursday 3 July 2025, Prime Minister Keir Starmer and Health and Social Care Secretary Wes Streeting unveiled the government’s ambitious 10-Year Health Plan for the NHS. This comprehensive strategy, described as fundamentally “rewiring” the health service, aims to shift care from hospitals into the community, accelerate digital transformation, and prioritise prevention over treatment, with significant implications for dental professionals across the UK. The plan explicitly addresses dentistry, aiming to “improve access to NHS dentistry, improve children’s oral health and increase the number of NHS dentists working in the system.” This will be achieved “by making the dental contract

more attractive, and introducing tie-ins for those trained in the NHS.”

• Care Closer to Home: The Dental Dimension: The “neighbourhood health service” is central to the shift from hospital to community. Neighbourhood Health Centres will serve as a “one stop shop” for patient care and the base for multidisciplinary teams, operating “at least 12 hours a day and 6 days a week”. The plan states that dentistry will be improved within these settings.

• Expanded Scope for Dental Care Professionals (DCPs): The document highlights the broader NHS workforce strategy, which aims for a “new workforce model with staff genuinely aligned with the future direction of

reform”. This includes “embracing reforms to skill mix and training to allow more clinical tasks to be performed by nurses and allied health professionals – backed by AI – liberating doctors to work to the top of their license.” 

Haleon breaks ground on new £130m Global Oral Health Innovation Centre

Haleon, a global leader in consumer health and maker of leading brands such as Sensodyne, Corsodyl and Polident, has broken ground on its new Global Oral Health Innovation Centre in Weybridge, Surrey. This state-of-the-art facility will enhance Haleon’s science capabilities, accelerate innovation, and serve as a centre of excellence for global oral health research.

The groundbreaking ceremony, attended by UK Minister Baroness Jones, marks an important step in Haleon’s ambition to reach one billion more consumers by 2030, by strengthening its oral health R&D capabilities to put health in more hands globally. Set to become the R&D epicentre for Haleon’s oral health portfolio, the centre will be a dynamic hub for pioneering research, product innovation, commercial and supply chain excellence, and cross-functional collaboration.

Equipped with the latest technology and global expertise, the centre will feature a cutting-edge digital immersive room designed to unlock value at pace through real-time collaboration with Haleon’s manufacturing site in Levice. At the heart of the building, the atrium will create a vibrant hub for teamwork and co-creation, bringing leading expertise together to develop solutions that address unmet oral health needs for consumers around the world.

Designed with sustainability at its core, the site has recently achieved a BREEAM Outstanding rating, recognising its exceptional commitment to sustainability at Phase 1 in the design stage.

Chancellor of the Exchequer, Rachel Reeves MP, said: “This exciting milestone is another demonstration of the strength of the UK life sciences sector, a key pillar to our Industrial Strategy. Under this government Britain is open for business, and through our Plan for Change we’re delivering more investment, more jobs and more money in people’s pockets.”

Jayant Singh, Global Category Lead, Oral Health, Haleon, said: “With oral diseases affecting nearly half the world’s population, this marks an exciting step forward in our mission to put health in more hands for millions across the world. This centre will play a key role in harnessing the full potential of science and innovation across our oral health portfolio.” 

as new GDC Chair

The General Dental Council (GDC) has announced the appointment of Dr Helen Phillips as its new Chair from 1 October 2025, following the completion of Lord Toby Harris’s four-year term in September 2025.

Dr Phillips brings a wealth of senior experience across a 30-year career in sectors including insurance, legal, social care and further education.

A former senior environmental regulator, Dr Phillips has held numerous nonexecutive roles since 2015. With expertise in professional standards, she currently chairs the Chartered Insurance Institute and NHS Professionals, a workforce partner to the NHS, putting thousands of highly skilled healthcare professionals into NHS Trusts and other places to care.

Dr Phillips has also chaired the Legal Services Board and Chesterfield Royal Hospital NHS Foundation Trust, where she served during the pandemic, and is an independent Commissioner at the Gambling Commission. On her new role at the UK’s regulator of more than 125,000 dental professionals, she outlined her vision for upstream regulation and supporting the dental professions to remain competent and confident throughout their careers:

“My ambition is that dental care professionals feel a sense of pride – never fear – in being regulated by a trusted, effective, proportionate regulator that embodies our values of being respectful, transparent, inclusive and purposeful.”

Dr Phillips emphasised her commitment to working with the dental professions to address systemic challenges: “We must work collaboratively with the dental sector to make meaningful progress in addressing health inequalities and the growing problem of equitable access to dental services for all.” 

The 10-Year Dental Plan: From vision to action

A call to dentistry’s front line, by sara Hurley

For too long, dentistry has waited in the wings of national health strategy— acknowledged, but rarely prioritised. That has changed. With the publication of England’s 10-Year Health Plan, oral health has finally moved from the margins to the main stage.

This isn’t a passing mention. The Plan embeds dentistry into a fully integrated, prevention-first NHS. It sets a clear ambition: by 2035, NHS dental care will be high-quality, prevention-driven, digitally enabled, team-led, and equitably accessible – especially for children and those most in need.

This is no time to wait and see – it’s time to act.

That’s bold. And it’s not accidental. It is the result of years of advocacy, research, and collaboration across public health, education, and clinical practice. It’s a testament to those who made the case – loud and clear – that oral health is health.

Yet behind the headline ambition lies a crucial truth: this Plan won’t deliver itself. Its success – or failure – rests in the hands of Integrated Care Systems (ICSs) and on our profession’s readiness to act with unity, ambition, and purpose.

A national system poised for renewal

In 2023/24, NHS England reclaimed £392 million in undelivered dental activity – the highest in a five-year trend that has seen an average of £182 million returned annually (NAO, 2024). That’s not just a financial statistic – it represents lost care, missed prevention, and unmet need in our communities.

As we experience every day, this isn’t about falling demand –it’s about a system struggling on

every level. Outdated contracts, overburdened commissioners, and rigid procurement frameworks are holding innovation back. Too many practices remain bound to outdated models that fail to reflect the reality of modern, multidisciplinary care. Therapists, hygienists, and dental nurses are underused. Digital tools are fragmented. Innovation is sporadic and under-supported.

But change is not only possible – it’s already happening. Where teams embrace digital triage, role optimisation, and community-focused care, we see improved access, better outcomes, and higher morale.

The 10-Year Plan gives us the policy platform to scale what works.

The rest is up to us.

Five critical asks: From the front line up

As we turn vision into action, we need national and local leaders— professional bodies, LDCs, commissioners, and educators—to rally behind five essential enablers:

A clear iCs commissioning mandate

ICSs must be empowered to commission flexible, communitybased delivery: therapist-led clinics, mobile outreach, school programmes, sessional contracts. Give them the rules – then let them play.

Agile contracting tools

Current frameworks stifle innovation. We need adaptive, outcome-focused contracts that enable new providers to scale proven models.

workforce models that retain and inspire

Graduate tie-ins alone won’t solve the workforce crisis. We need local retention plans, funded CPD, and career pathways that support teambased models – expanding scope without burning people out.

Use the underspend – don’t lose it

Let ICSs reinvest clawed-back dental funds into local prevention initiatives, particularly for Core20PLUS5 communities. It’s the fastest route to access and equity.

e mbed oral health in i C s strategy

Dentistry must be core to ICS priorities – from school readiness to healthy ageing. Oral health isn’t a side project; it’s a key determinant of population health.

what can you do?

This is a call not just to policymakers but to every dental professional. Your actions, your leadership, and your voice matter. Whether you’re a practice owner, therapist, nurse, student, or commissioner, there are levers you can pull.

At neighbourhood level:

• Connect with family hubs, schools, and primary care networks.

• Deliver oral health education.

• Signpost, refer, and document unmet need.

At place level:

• Join local health and wellbeing forums.

• Invite ICB leaders, local MPs, and

councillors to see what modern dental care looks like.

• At system level:

• Respond to consultations.

• Speak up for reforms that reflect your reality.

• Back your professional body in pressing for change.

We now have a clear and ambitious mandate from government – a platform grounded in prevention, equity, and digital transformation. But the next chapter belongs to us. t his is no time to wait and see –it’s time to act.

Dental care and oral health must be central to building a fairer, healthier, more prevention-focused NHS. If we don’t shape that future in our own backyard, others will, and we may not like the result.

t he 10-Year p lan has cracked the door open. t he question is: do we step through it or stand by while it quietly closes? n

About the author s ara Hurley is the former Chief Dental o fficer for e ngland.

s he currently chairs the University of s uffolk Dental Community i nterest Company and is p rogramme Director for the Global o ral Health Leadership p rogramme at the i nternational College of Dentists.

Experience exceptionally lightweight loupes with crystal clear optics, designed and optimised for you.

• Custom Measurements

• Custom Fitting

• Custom Fabrication

For a t as unique as you are.

Say that again?

Tallulah wasn’t buying it. I’d tried desperately hard to convince my eight-year-old granddaughter that my new NHS hearing aids were the latest Apple AirPods. Even calling them v6.2 did little to convince the tech-savvy Lullah that my newest accoutrements were THE must-have accessory for Apple devotees. I was seriously worried that my 18-year-old grandson would actually wet himself on overhearing our conversation.

Yes, I have a few of the aches and pains that go along with accumulating the years – a term I like to call “seasoning” – but finding myself sitting in the waiting room of the audiologist a few weeks ago really brought it home to me that I am very much – as my Brummie mother used to call this stage in life – “Gettin’ on a bit!”

Having said all that, my main reason for seeking the audiologist’s help –apart from the fact that my wife keeps constantly imploring me to turn down my car radio – is tinnitus. I complained excessively on Twitter about the onset of my tinnitus a few years ago. (Remember Twitter when it was Twitter? Halcyon days!)

I remember distinctly waking up one August workday morning in 2012 and looking around for a determinedly persistent mosquito that sounded very much like it was following me into the bathroom. When I couldn’t actually see the damned insect, the noise was so loud that I started looking for malfunctioning appliances in the kitchen. At one point I even checked the smoke alarms in case there was a low battery warning going off. But no. Such were the pressures of NHS dentistry – and at the time I was going through the stressful sale of my practice – that I didn’t seek any sort of medical consultation about the tinnitus. I just put up with it. Once I’d put a few tweets out about my auditory plague, I was at least reassured to hear that other dentists and dental professionals – many younger than me – were similarly affected. The most common type of tinnitus mentioned appeared to be similar to mine, though by this time I’d stopped likening it to a mosquito because the fact is, my tinnitus sounds EXACTLY like the unrelenting high-pitched whine you get from a dental turbine. There’s no evidence whatsoever for this, but I DO blame dental drills. No question. Up until I sought help, my retirement had the constant soundtrack of a KaVo, which was never going to give up the ghost no matter how many crown preps you chose to send its way. Since I’ve had my hearing aids fitted, the loud unremitting turbine noise has reduced considerably, although it has not been completely eliminated. Certainly, my perception of the noise has improved – I’d say it’s now only 25% as nightmarish as it was. I understand that tweaks to the

hearing device programme can help mask the tinnitus further, but for the moment, the audiologist will have to go to the back of the queue behind the cardiologist, chest specialist and the ophalmologist.

The REALLY good thing about these hearing devices, though, is that I can actually play my iTunes music playlist through them while appearing to take part in dull conversations. Cool!

If you’ve never experienced tinnitus, I envy you. It really is a dispiriting affliction and has led people to develop depression and anxiety… talking of which, have you seen the latest from Health Secretary Wes Streeting?

Whilst on a visit to a GP surgery in Leighton Buzzard, Mr Streeting told the BBC, regarding the timetable for dental contract reform, that he was “hesitant to make specific promises about dates and deadlines” unless he knew he could fulfil them.

He also said, “There’s one thing that is in even shorter supply that dentists and money in this country, and that’s trust in politicians.”

Now THAT statement is very much like tinnitus. It’s depressing, meaningless and has no point to it at all - very much like all the ineffective hand-wringing and faux concern for health service dentistry that politicians of both sides have made a public show of over the past few years. Especially since, when all is said and done, THEY ruined it. It’s just another fatuous remark thrown out by a minister under duress, to try to create the failed illusion that Government still cares.

There was a lot of tinnitus produced by the Labour Government pre-2006 with regard to their public ‘hopes’ for the new dental contract. I still strongly suspect that the private ‘hopes’ of ministers were that dentists would withdraw from the NHS.

When the House of Commons Health Select Committee declared in 2008 that the new dental contract was unfit for purpose, the Labour Government rejected the Committee’s call for fundamental reform. The Government response was a simple, “We do not accept that the dental contract is unfit for purpose.” Ministers claimed that it was too soon to judge the long-term impact of the reforms, while others argued that early problems were due to “transitional difficulties” with the contract and were not down to flaws in the contract itself.

Before the dental contract was introduced, the Secretary of State for Health, Patricia Hewitt, said: “This contract will give more people access to NHS dental care and offer better outcomes for patients.” The reality was that, in the two years prior to March 2004, 28.1 million people were treated under the NHS. By March 2007, the number had dropped to 26.3 million. Transitional difficulties, eh? That would have really had me switching the volume up on my hearing aids.

When The Mirror reported a few weeks ago that an NHS dentist was subject to £150,000 clawback for effectively “keeping his patients too healthy,” health minister Stephen Kinnock told the paper that, “Once again it falls to a Labour government to give all people the healthcare they deserve, not just those who can afford it. The Mirror ’s Dentists for All campaign has exposed the shocking state of NHS dentistry after 14 years of Conservative mismanagement.”

I note that Mr Kinnock left out the bit where Labour started the whole debacle off in the first place. Also, he should have inserted “In 10 years or so,” when he spoke about giving people the healthcare they deserve. It’s the same tired old stuff, over and over again. White screeching noise with no meaning or benefit to anyone.

One of the few bodies that produces statements that don’t sound like the screech of tortured souls shackled in the bowels of Hell is the British Dental Association. It pointed out around 2022 that NHS clawback rose 310% between 2014 and 2020. Presumably that was down to “transitional difficulties” than down to the monstrously devised dental contract.

Perhaps the most absurd defence of the dental contract was made in 2006 by Lord Warner, who claimed that the contract would give dentists “Time to care rather than time to drill.” Try telling that to the dentist who found his prevention advice and caring cost him £150,000 clawback. “Time to care” became a punchline amongst dental professionals and was cited in later BDA statements as a prime example of the government’s detachment from reality.

Marginally more absurd were the words issuing forth from the mouth of Parliamentary Under-Secretary for the Department of Health and Social Care, Maria Caulfield, in 2022 when she insisted NHS dentistry was “available across the country” just as 90% of practices had ceased taking on new NHS dental patients.

See? The tinnitus grates after a while, doesn’t it? n

About the author ollie Jupes is the pseudonym of a former nHs dentist. He monitors dentistry on twitter X as @DentistGoneBadd

Suddenly, home didn’t feel like home anymore.

A complaint to the GDC can turn your world upside down. Our dentolegal experts are here to help turn it the right way up again.

and be ready for whatever life throws at you.

Why is dentistry still on the sidelines of NHS community reform?

The government’s new 10-Year Health Plan – Fit for the Future – outlines an ambitious vision to shift care from hospitals to local communities. The plan speaks confidently about neighbourhood health hubs, joined-up primary care, and a focus on prevention. Yet for all the talk of transformation, dentistry is barely mentioned.

Once again, oral healthcare risks being left on the sidelines of NHS reform. Despite decades of discussion about integrating dentistry into the wider health system, it remains structurally isolated. Separate contracts, separate commissioning pathways, and incompatible IT systems have entrenched this divide for years. The new health plan makes little to no change in that regard. While GPs, pharmacists, district nurses, and social care teams are explicitly named in the neighbourhood model, dental services are left in policy limbo.

A missed opportunity for integration Dentistry should be part of the neighbourhood health conversation. Dental teams see patients regularly –often more frequently than GPs – and are well placed to spot early signs of systemic disease, from diabetes and cardiovascular issues to mouth cancer. Dentists already provide frontline prevention advice on smoking, alcohol, sugar intake, and diet. In theory, integrating dentistry into community health hubs could lead to earlier diagnosis, reduce hospital demand, and support broader public health objectives. It could also help tackle inequality. Many of the groups with the worst oral health – older adults in care homes,

people with disabilities, and those in deprived or remote communities –are the least likely to receive regular dental care. Neighbourhood models could change that by embedding dentistry into local services that offer wraparound support.

But for now, this is hypothetical. Dentistry has not been formally included in the design or delivery of neighbourhood care. There are no contractual mechanisms to support integration, no designated roles for dental professionals within community health teams, and no shared infrastructure to facilitate collaborative working. Dentistry remains locked out of the system that is supposed to transform primary care over the next decade.

why is dentistry still left out?

The reasons are well known. The NHS dental contract remains rooted in the delivery of treatment and activitybased targets. It rewards restorations and extractions but fails to incentivise prevention or community outreach. There are no financial levers to support collaborative care or early intervention. Dental commissioning remains largely outside the Integrated Care Board system, keeping oral health separate from wider planning. Most dental practices use software that is incompatible with the rest of the NHS, making data sharing extremely difficult.

Workforce pressures compound the problem. NHS dentistry faces backlogs, rising costs, and serious recruitment challenges. Adding new responsibilities without investment risks overwhelming a profession already under strain. Without

support, there is little chance of expanding dental roles into wider community health.

Cultural factors also play a role. Dentistry has worked hard to establish its clinical autonomy. Some practitioners view closer integration with suspicion, concerned it could lead to diluted expertise or extra duties without proper funding. Without careful planning, integration could leave both patients and professionals worse off.

Contracts and connectivity: the barriers to neighbourhood dentistry

Neighbourhood healthcare is built on prevention, collaboration, and shared decision-making. Yet NHS dentistry is still defined by outdated contracts and disconnected systems that actively work against these goals.

At the heart of the problem is the dental contract. The current system is transactional, rewarding treatments but doing little to support prevention or multidisciplinary care. There is no contract support for collaboration with GPs, pharmacists, or social care. Until this changes, integrated neighbourhood dentistry will remain out of reach.

Digital integration is another serious obstacle. The NHS talks about seamless systems for shared patient care, but dentistry is years behind. Most dental practices are unable to connect to GP or hospital records. Referral pathways are patchy or non-existent. Without investment in digital infrastructure, collaboration cannot happen.

Reforming the contract and closing the digital divide are not optional extras. They are fundamental.

Without these changes, dentistry will remain locked out of the next phase of NHS reform – unable to contribute fully, even when the will is there.

time for action before dentistry is left behind again

The 10-Year Health Plan represents a moment of potential change. But unless dentistry is intentionally brought into the neighbourhood model, it will once again be left as a bolt-on service, adjacent to health reform but not part of it.

Suppose dentistry is excluded from the next decade of NHS transformation. In that case, the consequences will be felt not just by the profession but by patients who miss out on vital opportunities for early intervention and prevention. The government must move beyond rhetoric and deliver real change. That means contract reform, investment in digital infrastructure, workforce development, and a genuine seat at the table for dental services in Integrated Care Systems.

Neighbourhood dentistry could reshape how oral healthcare is delivered in this country. But right now, it remains a missed opportunity – not a reality. Unless action is taken, dentistry will once again be left watching from the sidelines as NHS reform moves on without it. n

About the author

Saving dentistry is not just about the money

Health and Social Care was one of the big winners in the Government’s Spending Review with an extra 3% funding for NHS services, including thousands more dental appointments for patients in need.

Of course, the extra cash is welcome, especially in the context of the financial constraints set out by the Chancellor, and we hope that it will be spent effectively to improve front-line services. However, we need policy makers to think more broadly about the burden on those who are tasked with delivering their plans.

After years of decline in the NHS dental service, practices are understandably struggling to provide the level of service that patients – and the regulators – expect and are becoming the target for people’s frustration and, sometimes, abuse.

It’s no surprise that many in the profession are now choosing to risk manage their working lives by working in a less targetdriven environment. As a result, the size of the workforce hasn’t kept pace with population growth. According to a new House of Commons Research Briefing on NHS Dentistry in England, the number of dentists (41.9) per 100,000 people in 2023/24 was the lowest recorded over the last decade.

If the Government wants hard-pressed dental professionals to step up and treat more patients, it must support them better. Like most of my colleagues, I’m eager to see the plans for dental contract reform but it’s equally important to address the other factors that can make dental practice a challenging environment.

I was pleased to have the opportunity to raise this with MPs and their staff at a round table discussion about the climate in UK dentistry, alongside representatives from Community Dental Services CIC and NHS Education for Scotland. Among the concerns we covered was the NHS dental contract, dental training, the anxiety caused by the adverse dento-legal climate and the urgent case for reforming the GDC.

This was the first roundtable event to be hosted by the new All-Party Parliamentary Group (APPG) for healthcare workers, which was set up by my MDU colleagues earlier this year. Alongside policy briefings and writing letters, it’s another way to engage directly with policymakers and politicians so we can draw attention to the issues affecting our members and the profession more broadly. I was pleased that two MPs mentioned our concerns about increased workplace pressures and professional morale during a Commons debate on Access to NHS Dentistry on 22 May.

I also believe the need for better support for dental professionals is being taken seriously outside Parliament. In his presentation to the 2025 LDC Conference in June, the CDO, Jason Wong, introduced a free wellbeing platform for the dental team and spoke about the need to shift “from a blame culture to a learning-fromexperience culture,” which promotes patient safety and also reduces fear among practitioners. One important aim of the CDO’s Project Sphere working group is to promote proportionate regulation and a fair clinical negligence system to help improve professional wellbeing.

While the Government disappointingly failed to uphold its predecessor’s commitment to include dentistry in its proposed reforms to professional regulation, the GDC has taken responsibility. Its Corporate Strategy 202628 promises to “explore less adversarial ways of handling and resolving concerns” within its existing legislative framework and shift “to a more prevention-focused regulatory model – one that prioritises support, risk-mitigation, and professional

development.” The Regulator accepted that “fear of fitness to practise is a key factor in levels of stress for dental professionals and a driver of the climate of fear.”

The DDU will be looking closely at the GDC’s plans before responding to its Corporate Strategy consultation (open until 21 August 2025) and we encourage all dental professionals to get involved.

At the same time, we’ll continue using our platform to persuade policy makers

that they need to do more to improve the working lives of dental professionals if they really want to resolve the long-standing issues in dental services. 

About

Enhancing precision and comfort in magnification

The Probe is on location at Vision Engineering

Vision Engineering, a world leader in ergonomic microscopy, digital 3D visualisation and metrology solutions, is revolutionising how professionals view and interact with small objects. As discussed by International Product Manager Stephen Sanderson and International Sales Manager Tony Lang, the company focuses on providing innovative magnification solutions that prioritise both precision and user comfort.

“Vision Engineering’s core expertise lies in making small objects appear larger,” begins Stephen. “Our product range spans from low-magnification bench magnifiers to highmagnification systems for detailed work.”

A key feature across many of the British manufacturer’s offerings is, Stephen notes, is “stereo magnification, allowing users to use both eyes for depth perception, which helps in understanding shapes and contour. This commitment to visual accuracy extends to “prioritising colour accuracy, especially for dentistry.”

Tony discusses some of the markets Vision Engineering has traditionally enjoyed a strong foothold in. “These include industrial electronics and aerospace,” he says. “However, we have recently observed a significant surge in interest from the dental sector. This includes dental laboratories, individual dentists, and manufacturers of dental implants, highlighting the versatility and growing demand for their specialised magnification tools.”

The OPTA range: Performance meets affordability

Tony specifically highlights the OPTA range as a game-changer for the dental marketplace, describing it as a low-cost, high-performance solution. “An OPTA unit, complete with lighting, lenses, and a stand, is remarkably accessible at approximately £900.”

A standout feature of the OPTA system is its emphasis on ergonomics and user comfort. “Unlike traditional microscopes, the OPTA lacks traditional microscope eyepieces, which allows users to maintain a more comfortable posture and work for longer periods with higher concentration,” Stephen explains. “This design promotes a neutral neck position and open eyes, with access to ambient light for a natural viewing experience, significantly reducing strain during extended use.”

The OPTA system provides core magnifications of 4x and 6x, making it ideal for tasks involving working with shapes and contours. Furthermore, the system offers a generous working distance, providing ample space for tools, which is crucial for intricate work. To cater to diverse workspace needs, Vision Engineering offers various stand options for OPTA, including a universal stand that can be swung away for an unobstructed workspace, and a track stand for more fixed positions.

Illuminating precision with bench magnifiers

Vision Engineering also offers a comprehensive range of bench magnifiers, designed to enhance precision and comfort across diverse applications. Stephen introduces the company’s varied selection, catering to different needs and price points.

For those seeking an entry-level solution, the VisionLUXO LFM Magnifier is highlighted as a simple, low-cost entry-level magnifier.

“Its design features an angle-poise arm, allowing for easy positioning and reach, and a 5-inch lens for a good view.” Stephen notes.

“A notable feature across the LFM range is the shade neck design, which enables the magnifier to be positioned at any angle without needing a locking mechanism thanks to a cam spring that ensures stability and allows for quick and easy adjustments.”

The magnifiers offer 100 steps of light variation for controlled illumination and utilise special crown glass for a clear, colour-corrected image.

The Wave series introduces a rectangular lens. “This provides a wider view and makes it easier to align with objects that have lines.” Stephen says. “A key innovation in the Wave magnifiers is the independent control of lighting on the left and right sides. This allows users to introduce shadows, which helps in understanding the depth and shape of the subject.”

The Wave magnifier is available in two magnifications: a 5-dioptre and a 3.5-dioptre lens. “The latter is suitable for tasks requiring a slight magnification boost,” notes Stephen. For specialised tasks, a Wave magnifier with a UV light option is available for working with UV-fluorescent subjects, alongside standard white light versions.

The white light version of the Wave 3.5-dioptre magnifier can be fitted with an optional camera. “This practical addition allows users to quickly capture and share images with suppliers or customers without interrupting their work,” explains Stephen.

Stephen describes the Circus magnifier as the king of the magnifiers. “The Circus magnifier boasts a 7-inch circular lens made with high-quality optical glass. It retains the convenient shade neck for onehanded operation and offers 100-step dimming of the lights.” Stephen confirms.

Designed with practicality in mind, the Circus magnifier features a covered arm. “This is for easy cleaning, making it suitable for laboratory environments,” says Stephen “Furthermore, a cleverly designed gap allows tools to pass the LEDs before reaching the lens, improving hand-eye coordination and depth perception when manipulating objects.”

Camβ: Portable and Precision Viewing

Tony next introduces us to the Camβ, a compact, handheld viewer specifically engineered for the exacting demands of the dental industry. Designed with both portability and advanced optical capabilities in mind, the Camβ offers a new level of precision for dental professionals.

This innovative device is highly versatile, operating on battery-power and can be charged via a USB connection, ensuring it is always ready for use. “It boasts impressive magnification, offering multiple magnification levels, up to a maximum of 20 times, allowing for incredibly detailed examination of even the smallest features,” Tony explains. “Integrated LED illumination ensures consistent and clear lighting for optimal viewing.”

Beyond just viewing, the Camβ is a powerful documentation tool. “It can capture up to 20,000 images, which are stored in its onboard memory,” Tony continues. “These images can then be easily transferred for further analysis or sharing by simply connecting the device to a PC. For accurate dimensional analysis, users can add grids to images for measurements directly within the captured view.”

Ergonomics and hygiene have been carefully considered in the Camβ’s design. “A small arm on the bottom ensures the correct height for imaging. This contributes to stable and consistent image acquisition, says Tony. “Crucially, for dental environments, the device is designed to be easily cleaned, promoting excellent hygiene standards.”

For collaborative work or educational purposes, the Camβ features a video output that can be connected to a large monitor, making it suitable for training and recording purposes.

Ultimately, the Camβ stands out due to its superior optical performance. Tony highlights that the device is “optimised for close focus, offering superior image quality, positioning it as an indispensable tool for highly detailed dental work”.

Innovating inspection and metrology

Stephen takes over again to delve into Vision Engineering’s key offerings, from advanced stereo microscopes to groundbreaking digital inspection systems.

Moving beyond conventional binocular microscopes, Vision Engineering’s Lynx EVO Range stands out as eyepiece-less stereo microscopes with magnifications of up to 240x. These systems are lauded for being modular, comfortable, and ergonomic to use.

“A significant innovation is their large exit pupils, approximately 20mm in diameter, which make it easier to align your eyes

All Vision Engineering magnifiers come with a robust five-year warranty, underscoring the company’s commitment to quality and customer satisfaction.

For more information, visit visioneng.com/solutions/dental/

To see the products in action, scan the QR code or visit: tinyurl.com/visioneng

and provide a dynamic view to change your viewpoint around the subject without moving the subject itself,” explains Stephen. Although, seeing really is believing.

“The Mantis range, meanwhile, offers relatively low magnification stereo microscope systems, starting at 3x and going up to 15x magnification, making it ideal for hand working,” Stephen says. Mantis IOTA is a single-lens system with dimmable lighting and magnifications of 3x, 4x, 6x, and 8x.

Mantis ERGO and PIXO feature a rotating turret for easy switching between magnifications, with PIXO also providing a built-in camera for live connection to a computer for reporting and sharing images with suppliers or customers.

Groundbreaking digital stereo microscopy

A true innovation, the DRV (Deep Reality Viewer) is highlighted as the only digital stereo microscope of its kind. “It functions by digitising a stereo image and projecting it back to the user’s eyes,” explains Stephen “It also has the ability to connect live stereo images globally, eliminating the need to ship parts or travel for inspections.” This capability is particularly beneficial for training. “This would allow a training dental surgeon to see exactly what a trainee is doing in 3D,” says Stephen. “The DRV supports both local connections via daisy-chaining and international connectivity via the internet.” Explaining a little more about how it works, Stephen explains: “It provides a unique floating image and can connect to other stereo microscopes for a 3D view. A special viewer allows manipulation of the image instead of the subject, making it easier to work at high magnifications.”

Solutions for all magnification needs While The Probe was on location at Vision Engineering, we were also introduced to the Vectour Screen, offers a unique 3D screen that provides depth understanding of subjects without requiring glasses (although, special glasses can be used for multiple people to view the 3D image and point at specific areas), as well as the EVO Cam Range and Metrology Products. Ultimately, Vision Engineering’s overarching goal, as Stephen described at the beginning of our tour, is to “make small things look bigger in a way that allows users to work effectively with the magnified details, providing solutions that enhance both visual clarity and operational efficiency”. 

Excellence under pressure

Essentials for the emergency dental appointment

Delivering dental care during an emergency appointment often requires quick, precise decisions under pressure to relieve patients’ symptoms while minimising the risk of complications. Emergency patients may be distressed, anxious, and in pain. Dentists have to be ready for anything, including a possible medical emergency, or management of their own personal risk. Under such challenging circumstances, upholding the core principles for providing effective urgent dental care can be difficult. The heightened pressure of emergency dental appointments has been linked to inadequate documentation of diagnoses or treatment plans, which can jeopardise ongoing patient care and expose clinicians to medico-legal risks. Common reasons for treatment failure include patients delaying seeking treatment after an injury, patients not attending follow-up appointments and the inadequate protection of dentine exposed by dental trauma or infection.

A well-prepared, methodical approach is essential to mitigate these risks. This includes clear communication with patients and other professionals for effective ongoing care, accurate documentation, and addressing the causes of problems where possible rather than simply treating symptoms.

Who is most commonly in need of urgent dental treatment?

The most common presenting complaint is pain, arising from biological causes such as infection, or from a traumatic dental injury (TDI). Most requiring an urgent appointment can be treated safely within a normal clinical setting. Of those cases referred to hospital for emergency treatment, an overwhelming majority (85%) have a diagnosis of dental infection with diseases of the pulp and periapical tissue.

Emergency dental patients are often young adults aged 19–29, and those with a low socioeconomic status.i Those who delay seeking routine care ¬– such as people experiencing homelessness or those in rural or deprived areas – are more likely to require urgent services. Anxiety plays a significant role, with one study reporting that 43% of patients seeking emergency care delayed treatment due to fear of the dentist.

Other common emergencies include complications like post-extraction bleeding or alveolar osteitis.ii TDIs account for 15.4% of emergency visits, with 24% of these patients under 21 years old. Common causes of TDIs are falls, sporting accidents, road traffic accidents and violence.

the right approach

While a definitive approach to treatment in urgent cases is advised,i in some urgent

Mycobacteria

What dental professionals need to know

Mycobacteria is a genus of bacteria that includes several human pathogens, including Mycobacterium tuberculosis and Mycobacterium leprae, the infections involved in tuberculosis (TB) and leprosy respectively. For dental professionals, understanding the nature of Mycobacteria is essential. Not only because of the risk of exposure in clinical settings, but also due to their relevance in infection control protocols.

cases, addressing the root cause of the issue may not be immediately possible. For example, 22% of facial trauma cases are linked to alcohol consumption. Intoxication may impair the consent process as well as patient behaviour, presenting an unacceptable risk to clinicians. It will be difficult to take an accurate medical history, and depending on the intoxicant, there may be contraindications that are difficult to assess, especially if a patient is unwilling or unable to disclose the use of controlled substances. In such cases, symptom management may be the only option.

However, where possible and appropriate, clinicians are advised to deliver the most definitive care possible. Among the many important features of excellent urgent care is the provision of appropriate materials and equipment to prevent future complications.

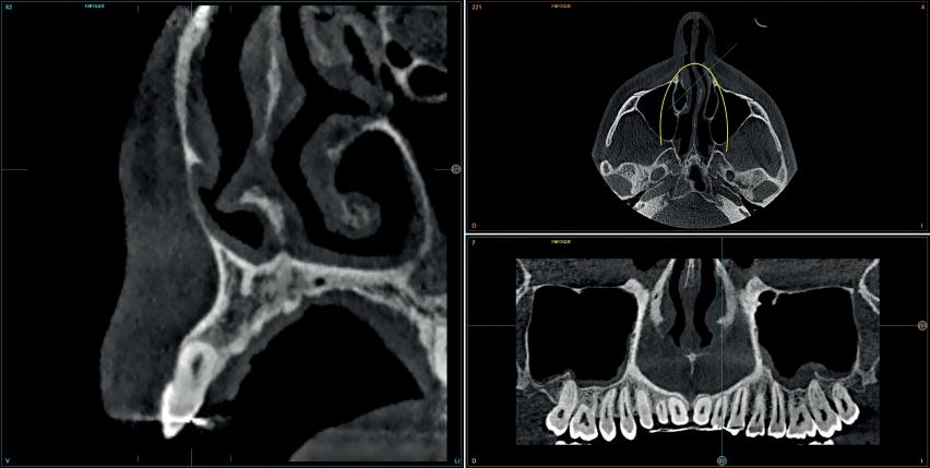
protecting exposed dentine

In the case of an infectious dental emergency, the priority for the clinician is to treat the infection, completely removing it to avoid potentially life-threatening complications. This may entail emergency root canal treatment (RCT), and in severe cases may require extraction. In cases where RCT is indicated, complete removal of the infection combined with effective cleaning and obturation is essential. Where fracture is identified, the priority for the clinician, after managing pain, is to ensure exposed dentine is fully protected with the appropriate material, and that the pulp is not compromised.

COLTENE provides a comprehensive range of emergency restorative materials to aid in the quick, safe and effective delivery of urgent dental care. For example, Coltosol F is a temporary filling material, which is selfcuring, requires no mixing and is easy to remove. It contains zinc oxide and fluoride, and has a high marginal seal due to a slight expansion on drying to ensure temporary fillings and root canal sealings are completely safe after an emergency appointment.

A strategic approach to urgent care preparedness includes methodical and well-recorded communication. Wherever possible, a definitive approach to treatment within urgent appointments is advised. The use of the right materials and techniques is essential to mitigate against risk, and deliver the best possible treatment under pressure. For more information, visit colteneuk.com/coltosol-temporary-material, email info.uk@coltene.com or call 0800 254 5115. n

about the author Nicolas coomber, cOLteNe National account & Marketing Manager.

Unique microbiological features

Mycobacteria are aerobic, rod-shaped, non-spore-forming bacilli. A defining characteristic is their acid-fastness, so named because their lipid-rich cell wall, packed with mycolic acids, retains certain stains even when treated with acid alcohol. This waxy outer layer not only makes them resilient in environmental conditions but also contributes to their resistance to many disinfectants and antibiotics. Their slow growth is another hallmark. For example, M. tuberculosis can take 20–24 hours to divide, which is much slower than typical oral flora. This growth rate affects how quickly infections are diagnosed and treated.

Although leprosy (Hansen’s disease), caused by Mycobacterium leprae is rare in most developed countries, it affects around 200,000 people every year, and there is still a small risk of exposure in the UK. Oral manifestations of leprosy, such as mucosal ulcers, inflammation of the periodontium and gingiva, and lesions of the palate and nasal bones, can be seen in advanced cases.

tuberculosis and dentistry

Tuberculosis is an airborne infectious disease primarily affecting the lungs but potentially impacting any organ system. Globally, TB infects 10 million people every year and 1.4 million people die from the disease annually. About 5,480 people in the UK were infected in 2024, up by 13% from the previous year. Numbers of rifampicin-resistant (RR) or multidrug-resistant (MDR) TB cases also increased slightly compared with 2023 (from 71 to 75 people) and there is evidence that this is likely to increase further.

While active TB in dental patients is rare, undiagnosed or latent TB does pose a risk. Patients with latent TB are asymptomatic and may not be contagious, but clinicians should be vigilant during health history reviews and assess for signs such as chronic cough, weight loss, night sweats, or recent exposure.

Dental procedures – such as tooth preparation with a rotary instrument or air abrasion, air-water syringe, ultrasonic scaling and air polishing – create airborne aerosol droplets that can carry disease. When inhaled, M. tuberculosis faces different environments in the lungs, both extracellular and intracellular, particularly within alveolar phagocytes. The tuberculosis bacterium can tap into the host’s energy and metabolic systems to avoid the immune response, allowing it to thrive as an active or dormant infection.

From an infection control standpoint, standard precautions should always be followed, but additional measures are warranted if TB is suspected. Elective

treatment for patients with suspected or confirmed active TB should be deferred, and the use of high-efficiency particulate air (HEPA) filtration or N95 respirators for dental staff in aerosol-generating procedures should be used, especially if TB status is unknown. Every dental practice should have proper ventilation, and rubber dam isolation should be used where appropriate to reduce the spread.

Non-tuberculous mycobacteria (NtM)

Non-tuberculous mycobacteria (NTM), such as Mycobacterium abscessus and M. fortuitum, are environmental organisms found in soil, dust, and water. These bacteria are not transmitted person-to-person but can cause opportunistic infections, particularly in immunocompromised individuals or in post-surgical wounds. Importantly for dental practices, NTM have been implicated in infections linked to contaminated dental unit waterlines (DUWLs). An outbreak of M. abscessus infection in children was traced to DUWLs used during pulpotomy procedures.

Mitigation against infection

To mitigate against the spread of mycobacteria, the dental team should follow health technical memorandum (HTM) 01-05, and manufacturer guidelines for routine maintenance and disinfection of DUWLs. Sterile water or saline should be used during surgical procedures involving bone or soft tissue. DUWLs must be periodically tested to ensure microbial counts are within acceptable limits.

Using broad range pathogenic products that include mycobactericidal products is a must to protect patients and the dental team from infection. For example, the BePro range of hygiene products from W&H is bactericidal, mycobactericidal, tuberculocidal, fungicidal and virucidal within extremely short exposure times, to ensure total protection from pathogens. While the mycobacteria involved in TB and leprosy may not be everyday concerns in dental practice, their potential for causing serious infections, and their resilience in healthcare environments, requires attention. Dental professionals play a crucial role in the prevention of disease transmission, through the maintenance of rigorous infection control practices. Staying informed about pathogens like Mycobacteria can safeguard patients and occupational health in dental practices. To find out more about the full range from W&H, visit www.wh.com/en_uk, call 01727 874990 or email office.uk@wh.com n

about the author

Jon Bryant, General Manager, W&H UK.

SAVE THE DATE

24-25/10/2025

Explore the latest breakthroughs in synthetic bone grafting and dental regeneration at this unmissable two-day event.

Join leading clinicians and researchers for:

• Expert talks on cutting-edge regenerative techniques

• Live demonstrations of EthOss® in action

• Interactive discussions and peer networking

• A free 0.5cc box of EthOss® for every attendee

Advance your clinical practice and be part of the future of implantology

Dr Peter Fairbairn
Dr Michael Tang
Dr Victoria Sampson
Dr Stuart Campbell
Prof. Dr Armin Nedjat
Dr Jakub Batycki
Dr Stuart Kilner
Dr Karol Badeja
Dr Paolo Savadori
Prof. Dr Wei Cheong Ngeow

Digital dentistry: environmentally beneficial?

New technology is having a massive impact on healthcare, including medicine, surgery, and dentistry. It has been suggested that, by 2035, 90% of keyhole surgeries will involve a robot, a massive increase on the 20% utilising a robot today. Whilst for some, this may feel very futuristic, the dramatic increase in the use of digital solutions within dentistry alone shows how quickly different elements of modern technology can be adopted under the right circumstances.

In addition to improving productivity within healthcare settings, the right technology can also offer environmental benefits through the reduction of waste, energy consumption, and chemical usage. As such, dental professionals should consider their sustainability goals when making decisions about whether to continue with the sole use of analogue methods, or to embrace digital solutions and reap the benefits.

environmental sustainability in dentistry

As with many other major areas, the dental profession has a responsibility to work towards environmental sustainability, in order to safeguard global ecosystems and enhance wellbeing. As such, it’s vital that decision-making is undertaken with a view to supporting a transition to sustainable development goals. Whilst this may seem a daunting prospect to some, integrating these goals into everyday dental settings is vital to help protect the future of our planet.

Integrating cutting-edge technology can change the way dental professionals approach sustainability. Whilst it is imperative that clinical accuracy and optimal patient outcomes are always put first, there are some cases in which digital solutions offer an excellent alternative to traditional methods, helping to reduce waste and energy consumption within dental settings.

Some examples of simple switches using new technology to help meet sustainability goals include digital imaging systems that remove the need for chemical processing and reduce energy use, steam sterilisation to limit chemical usage, energy-efficient LED lighting, and use of advanced dental equipment to conserve water.

Within dental practices

Adopting digital workflows throughout the practice affords a wide range of benefits. The use of digital tools may enhance the patient experience resulting in better patient retention and reducing the time and cost in acquiring new patients.

Using digital record-keeping platforms minimises the need for paper files, helping to save on storage space and administrative costs. Often using less energy than traditional options, modern dental equipment helps to reduce the practice’s carbon footprint whilst lowering utility bills.

Finally, digital dental solutions that result in fewer remakes, mean less wasted time and materials – this further reduces the impact of waste on the environment and costs.

Although the initial investment in digital solutions can sometimes be significant, they offer a long-term return on investment. Often, embracing digital workflows will result in cost reductions thanks to savings on materials, improved efficiency, and an increased number of patients being treated. Over time, these factors can result in sustainable growth whilst positioning the practice as a leader in modern technology.

Within the dental lab

It is important that dental labs are not left out of the conversation when we consider the benefits of digital technology on the environment. One major advantage for digital dental labs is the reduction in energy consumption compared to traditional workflows. Digital scanners and milling machines are far more energy efficient than traditional methods, having a significant impact on a lab’s carbon footprint in addition to their energy bills. Further to this, we must consider the reduction in material waste both through the use of digital treatment planning platforms as well as more streamlined workflows, ultimately resulting in fewer mistakes and remakes.

The Cubit360™ scanner from Mimetrik™ enables fast scan times, with accurate bite scans from dental models achieved in under five seconds, without the need for metal mounting frames – simply hold the model in front of the scanner and begin scanning immediately. Within the dental practice, Cubit360 enables direct scanning of an impression for complex restorative cases

and edentulous patients. By eliminating the need to send the physical impression to the lab, time to prosthesis or denture manufacture is reduced, as well as your carbon footprint. Cubit360 is small, portable, and energy efficient ideal for busy settings.

Modern digital dentistry solutions offer significant benefits for the environment through a number of channels, including reduced waste, energy consumption, and chemical use. By incorporating digital methods, dental professionals can better and more easily align themselves with sustainable targets in order to meet their environmental goals.

For more information about Mimetrik, please visit https://mimetrik.tech n

about the author alyn Morgan is the immediate Past President of the British endodontic Society, and the co-founder and ceO of a spin-out company from the University of Leeds, Mimetrik Solutions.

Making workplace culture tangible

If you have ever looked for a new job, you will likely have come across phrases regarding an organisation’s ‘culture’. But what does that mean? Will it actually affect your experience working there? Is it just words to fill the ‘about us’ section? How can you determine whether the culture being advertised accurately translates into the practice you’re interested in joining?

Some of these are difficult questions without absolute answers, but they are still valid and should be considered with care. To do this, it’s important to define exactly what workplace culture is. The simplest explanation is that it’s the environment created within the organisation, guided by the company values and ethos. It encompasses the core attitudes, beliefs and behaviours of the employer and those that are expected from staff. All of this is very difficult to assess before you actually join the organisation

and experience working there for yourself. However, it is important to get at least a sense of the workplace culture when considering a new job. To achieve this, there are a few options available to you:

check the website, but look beyond the headlines

Websites are designed to present the very best of a company, of course, but there will be clues as to whether claims can be backed up. For example, are there testimonials from existing or former staff members that reflect the statements being made? Are there details about resources available or people to call for support?

alignment with company values

On the website will likely be a summary of the company’s mission and values. It’s crucial to make sure that these align with your own beliefs and ethos for the job to be a good match. If they are striving for different goals, or prioritise different aspects to what you would want to, this might impact the appeal of the job for you.

ask to speak to existing staff

When they have nothing to hide, organisations will have no problem introducing you to clinicians or team members within their practices for you to chat with. You’ll be able to tell fairly quickly if they are genuinely happy in their job role from a conversation in-person or over a video call. If this isn’t possible, then simply

asking your professional network for their experiences with the company can be useful instead.

Define the details

The interview stage is a great opportunity to find out more about the organisation. This is their time to sell themselves to you, as well as the other way around. Are they supporting claims about clinical support with examples of how they implement this on a daily basis? Can they describe exactly how they encourage skill development or what resources are available to clinicians offering the type of dentistry you would be providing? Be wary of sweeping statements and generalised answers –if they have tangible infrastructure and systems in place, they will be able to share specifics. Similarly, make a note of anything not said or not answered as this could be just as telling.

reflect on the interview process

The interview process itself can be just as insightful. How you were treated and spoken to, as well as how others in the practice interacted with each other, may be representative of what you could expect. A lack of transparency or unorganised interviewer could be equally as illustrative of what working there might actually be like.

it’s personal

At the end of the day, where you choose to work could have a lasting impact on

your happiness, wellbeing and career advancement, so it’s crucial to choose wisely. At Clyde Munro, we put our people and our patients first. We ensure that all the infrastructure, resources and opportunities are available to our teams to really thrive in their work. This includes a dedicated Clinical Support Team, flexible hours, a range of cutting-edge digital technologies in our practices and complete clinical freedom. We also provide year-long training programmes designed specifically for early career dentists and dental therapists, with a purpose-built Advanced Dentistry & Clinical Skills Centre providing a broad range of post-graduate education in various topics from tooth wear management to endodontics, oral surgery and so much more.

Choosing your next job is personal to you. It’s a big decision and one that should be carefully considered. Workplace culture is difficult to measure, but looking for tangible evidence of working life at a potential organisation is important to ensure you’re properly informed.

To find out more about the career development opportunities available at Clyde Munro, please visit https://careers.clydemunrodental.com/ n

about the author

Munro Dental Group.

Discover an exciting next step in your career

Dr Fazeela Khan-Osborne wasn’t actively looking to sell her practice when she came across an organisation with a unique approach to the sales process. DeNovo Dental Partners is transforming the dental practice market with an innovative model that brings collaboration, support and growth to the forefront. The shared ownership concept allows principals to release the full value of their businesses upfront, with the majority paid in cash and the rest in shares of the broader DeNovo parent company. This affords multiple wealth generation opportunities as the practice and wider organisation grows. Principals also retain full control over their clinical dentistry and practice management.

When introduced to DeNovo, although Fazeela was not looking to sell, she was so impressed by the model that she joined the community herself. She comments:

“Although I wasn’t actively looking for a buyer, I had been thinking about my plan for the coming years. I was somewhat restricted in who I might sell to given the location and size of the practice, but I had my concerns about selling to a traditional corporate.

“During communication with DeNovo, we found that we philosophically aligned. We shared the same ethos regarding the team, patient care and how we run the practice. They were keen to take a supportive yet hands-off approach, they didn’t set targets and ensured that I would still have autonomy

in running the practice. They really listened to what was important to us, and they were just nice people to do business with.

“DeNovo was also keen to grow the practice with us, to help move it in the direction we felt was right. As a Founding Partner and member of the Dentist Steering Group, we have a big say in how the parent company is run. So, we are ensuring there is a dentistfocused approach and the team provides business expertise – everyone benefits.”

As Fazeela has already alluded to, for any principals considering a change in ownership status, it is vital that the existing team is protected and empowered. With DeNovo, practice teams see few changes in their day-to-day work. Fazeela chose to get her team involved early on in the process. She shares her team’s reaction:

“When the sale became a reality, I was extremely transparent with the team. I invited Kristen Pope, one of DeNovo’s co-founders, to meet the team. She spent several days at the practice to see how it runs, to interact with our patients and understand our philosophy. Because I was very comfortable with the transition, the team was too. They were excited about the opportunities to expand and grow and liked to be kept up-to-date on how it was going and what it would mean for them. They were reassured that not much would change in the practice, and they knew we would protect them because we’re all in it together. It’s been a really upbeat and positive process.”

Now a couple of months into the transition, Fazeela reflects on the process:

“The DeNovo team has remained in contact throughout the transition to discuss each step or any changes needed, or just to check in and say hi. They have been particularly helpful in assessing and improving our marketing and building the profile for our clinicians.

“Otherwise, they have been fairly hands-off but I know they’re there if I need any support. When I informed them of a family emergency, they were clear that I didn’t need permission to take whatever time I needed. They have a very family-friendly approach, which I love. The whole process has been very smooth with no hiccups whatsoever and I have absolutely nothing negative to say.”

Such a great experience when changing practice ownership is the goal for all principals. Fazeela summarises what she feels sets DeNovo apart from other groups in the market:

“DeNovo are the only buyers in the marketplace that allow and actively encourage you to grow, with lots of incentives. The model provides an initial payment, ongoing incentives for growth, and the longer-term benefits of increasing value of the shares in the group as it grows. They are also very flexible in whether you work clinically or shift towards a more management-focused role.

“You can remain working in your practice with DeNovo for several years, so I think

Adapting to an evolving landscape

Dentistry is in a constant state of flux. There are always new regulations to follow, innovative equipment to introduce, fresh techniques to implement and different clinical problems to solve. Added to all this, dental teams are faced with an everchanging list of challenges to overcome, whether they are related directly to patient care, professional development or business growth. The evolution of NHS dentistry is another significant factor affecting many practices as they attempt to navigate a world in which private services offer more options for patients and greater flexibility for clinicians.

rising pressures

Access to NHS dentistry remains a major challenge for the UK population, with only around 31% of adults in England attending the dental practice in the two years prior to March 2024. Perhaps even more worryingly, only about 55% of children under the age of 18 were reported to see the dentist during the same time period in England. A study by the BDA in 2024 found that around 13 million people in England were unable to access NHS dentistry, including 5.6 million who actively tried and failed to book an appointment in the previous two years.

This story is echoed in dental workforce data, which show that the average number of dentists per 100,000 population is lowest in the East and South West of England. This is further reflected in the high vacancy rates for qualified dentists, which is also highest in the South West. The high demand for services combined with low availability of

clinicians has led to long waiting lists and consistent time pressures on practices to see as many patients as they can.

But these aren’t the only concerns for teams operating within the NHS dental framework. Though dentistry is generally considered a highly stressful profession, clinicians working within the NHS system experience the highest levels of burnout. A 2019 study found that regulation and fear of litigation were top drivers for causing stress among dentists, many of whom experienced decreased personal wellbeing, as well as physical and mental health concerns as a direct result.

While the Dental Recovery Plan published by the Department of Health and Social Care in February 2024 attempts to address many of these concerns, for most in the profession, it doesn’t go far enough to actually enact positive change. For example, remuneration is a massive hinderance, with dentists able to earn more delivering private dental services than NHS – where pay is generally considered to be poor for the work required. There have been calls to completely scrap the current NHS contract and start from scratch in order to effectively respond to these and many other issues.

Overcoming the challenges of change

A consequence of the above and other challenges is that many practices are moving away from NHS dentistry. These dental care providers are reducing their contractual agreements and increasing their private services in order to care for patients in a more affordable and efficient way. But this can be a difficult change in itself as it requires understanding and acceptance

it’s important to talk to them early to make the most of it – don’t leave it until the year before you want to retire. These things take time to do and there is no risk in having a conversation.

“In my opinion, they have by far the best offering in the marketplace. It you want to continue learning and growing, DeNovo provides an exciting next step in your career, taken with an enthusiastic team who are motivated but not pushy. There’s no one else like them and I couldn’t be happier.”

Find out if DeNovo is right for your practice’s future by visiting www.denovo.partners n

from patients, who will likely need to pay slightly more for their dental care. However, there are many advantages that should be communicated to patients when they ‘go private’. Firstly, access is maximised. Waiting times are typically much shorter for private treatment compared to NHS options, meaning that individuals can book a routine check-up or schedule treatment as soon as they are ready for a more streamlined and convenient experience. They will gain access to a wider choice of treatment options, with their clinicians able to use more varied materials and cutting-edge technologies to deliver exceptional results. Add to all this the opportunity for longer appointments that aren’t rushed, and improved treatment comfort due to digital workflows, and private dentistry will soon become highly appealing to a lot of people.

The really good news is that, in most cases, the actual increase in fee tends to be minimal. There are even ways to reduce the financial impact on patients and make private dental care affordable for a broad range of people.

For instance, introducing a dental plan facilitates a smooth transition from NHS to private dentistry. It allows patients to manage their budget with affordable

monthly payments that cover a set amount of their dental care. Practices may even decide to personalise their plan so that member patients can unlock lower rates for specific treatment solutions to further increase accessibility for patients and boost upselling opportunities for the practice. IndepenDent Care Plans is a specialist provider of customised dental plans for practices across the UK. With comprehensive understanding of dentistry and the challenges facing both practices and patients, ICP will tailor their solutions to meet your needs for a smooth transition from NHS to private dental care. The dedicated Business Development Consultants are available to discuss your business requirements and offer fresh ideas to help drive your practice forwards.

Future proof your practice

The dental landscape is changing and will continue to do so for some time. Despite its huge success in years gone by, NHS dentistry has become fraught with challenges that are now affecting the care available to patients. Don’t leave the fate of your business to that of NHS dentistry – start growing your private patient base today to protect the future of your practice. For more information and to book a no-obligation consultation, please visit ident/co.uk or call 01463 222 999 n

about the author Dr robert Donald, indepenDent care plans Director.

Supporting principals with new start funding

After qualifying and then spending a few years building experience as an associate, many dentists have a desire to start their own practice. Many practitioners might consider a ‘high street’ bank for funding here. However, the banks’ particular expertise is normally with mortgages for the premises and overdrafts for working capital.

In terms of equipping and fitting out a practice it is often more advantageous to team up with a dental specialist finance provider that understands your industry and can work with you whilst offering support during this important step in your career.

Funding Options

Finance is a great option, advantages include:

• Equipment can be financed anywhere between 6 months and 7 years therefore allowing the cost to be spread evenly over the term.

• ‘Low start’ and payment deferral options can also be considered.

• Refurbishment and fit-out costs can be financed anywhere between 6 months and 5 years, again allowing the cost to be spread evenly over the term.

• Approvals are normally achieved within a day or 2 of receiving the information.

• Credit approvals last for a minimum of 3-months, therefore giving you plenty of time to start on the other action points; premises, lease, marketing, staff etc..

With Performance Finance, all facilities come with an option to take ownership at the end of term. No peppercorn or lifetime rentals.

Equipment Finance

Asset finance converts the large capital expenditure into small monthly payments. The revenue-generating asset is put to work immediately, but the costs are spread over time. Rather than invest precious cash reserves in depreciating assets, the company can use them to help increase profits. There are less up-front costs and because you have easy, predictable payments which can be spread over a term that is affordable for your new business.

Leasing can outperform traditional bank loans for new start practices. A cash purchase/bank loan/overdraft etc would usually see your accountant claiming (on your behalf) capital allowances via the full expensing programme.

These capital allowance tax relief schemes are excellent for businesses with profits because they enable you to claim tax relief in the next accounting period. If you are new start or high growth business this can potentially be wasted in your first year due to the lack of initial profitability.

With a Finance Lease facility, you are not claiming capital allowances. Instead, you allocate the monthly payment in the profit and loss section of your accounts, the repayments as legitimate business expenditure therefore achieves 100% tax efficiency. Crucially

though, this relief is spread over the term of the finance to ensure you can utilise the relief profits e.g., in years 2, 3 and 4 etc…

Refurbishment and Fit-out Finance

By funding the refurbishment and fit-out costs through an unsecured business loan, this again converts a substantial cost into manageable monthly payments. Therefore, freeing up your cash reserves for other start-up costs and initial cashflow.

Underwriting Expectations

Performance Finance use a panel of external funders and crucially also lends funds directly, so we are in a somewhat unique position to be able to offer an insight into the underwriting process.

Business Plans/Executive Summaries

Once you have decided to explore the possibility of taking your next step, it is best to start with sketching out a business plan.

The term “business plan” can be quite daunting, historically this document would have been filled with comprehensive graphs and in-depth projection information.

Nowadays, underwriters are looking for a summary of your background, the project and how you are going to make it a success, e.g:

• Qualifications and background i.e., CV/bio.

• The location, where will you be setting up, why have you chosen it, what about the competition?

• How are you planning to make this a success? Marketing plans, attracting an existing patient base etc

• How much of your own funds are you committing to this and how will this be allocated to the other start-up costs?

Creating a simple but effective business plan or executive summary will enable you to create a roadmap for the practice whilst presenting a clear proposition to potential funders.

Cash-flow forecast

Understandably, it is difficult to project turnover when income is speculative, however a cashflow forecast demonstrates that you understand and have identified all costs. Do not forget to keep revising both documents as your plans take shape as they are valuable tools for both you and your finance partner.

We are experts in your industry

Performance Finance is an expert in dental funding and is renowned for maximising tax allowances when funding surgeries, reception areas, sterilisation rooms, IT, digital equipment, and especially new start practices.

We offer an exceptional range of services that not only suits the requirements of the business but also maximises those allimportant tax allowances.

If you require any further information, then please contact Performance Finance on 01536 529696 

Referral motivation and optimisation

Referral of services or products happens all the time in today’s world. Everyone from local garages to restaurants will recommend another establishment if they are unable to meet a customer’s needs. The individual will rarely think poorly of the business, who is helping to find a solution to their problem. Of course, referrals occur routinely within the healthcare sector too, particularly when a patient requires multidisciplinary or advanced care. General dental practitioners (GDPs) will frequently refer to specialists if a patient presents with a complex issue. Understanding factors affecting the clinical decision-making process, as well as how to streamline the workflow are important for the very best patient experience.

Motivating factors

There are several reasons for referring patients to undergo specific treatment elsewhere. Typically, it is utilised when a patient requires treatment that is outside of the clinician’s remit. This could either be legally beyond their scope of practice or simply not something they are confident doing. While referrals are most often made by GDPs, a specialist may also refer a patient for procedures by an expert in another field.

The litigious landscape in dentistry right now encourages clinicians to err on the side of caution, which has created a busy referral market. For example, in periodontology, concerns over potential medico-legal consequences are a major driving force of referrals. There is particular

hesitance among GDPs – especially those working within the NHS – to treat more advanced forms of periodontal disease. In endodontics, fear of litigation is also a contributing factor for referrals. It has previously been suggested that patient complaints relating to root canal treatment are more difficult to defend against than other clinical modalities. This could exacerbate any concerns GDPs have about treating endodontic cases and increase the likelihood of referral.

Decision-making

Research has found that patients are most commonly referred for the root treatment of maxillary incisors and first permanent molars with challenging anatomy, needing retreatment or with traumatic injury. All of these present complex situations and require comprehensive solutions, supporting the need for referral to specialists in the area. The criteria for endodontic referral seem to depend on the clinician’s personal experiences and clinical skill. A study of UK postgraduate dentists found considerable variation between participants’ perceptions of complexity when faced with three

different cases. The paper found that procedural predictability, technical difficulty, risk of damage to the tooth and patient preference were the main factors affecting the decision-making process.

Optimising the journey for all When you do choose to refer, it’s important to provide comprehensive patient information to streamline the process and optimise clinical outcomes. A UK study published in 2020 found that as many as 16% of oral surgery referrals included no medical history for the patient and 87% had no supporting radiographs. This would have delayed the treatment process with the receiving specialists needing to acquire the information before they could plan treatment. For a more efficient treatment experience for the patient and the professional team, the GDP should send all relevant details with the referral. This should include a full medical and social history, the patient’s latest radiographs and/or CBCT scans and clinical photographs, in addition to information on the referral treatment required.

It is also useful to ensure that the patient is fully informed about why they have been referred. I couldn’t count the number of times a referred patient has sat in my chair without any idea about what treatment I should be providing or what it roughly entails. Now, this might simply be a case of poor memory or a lack of attention for their routine dentist. But doing what you can as the GDP to make sure the patient understands the basics of the treatment they are being referred for, can make the process more pleasant for them. It

also highlights the quality of care you are committed to delivering when you can show that you are acting in their best interests to ensure the most appropriately trained professional is chosen for the treatment needed.

The referral pathway is further improved when you can give the patient a little information on the practice or specialist they will be seeing. That’s why it’s beneficial to build a relationship with your preferred specialist practice, so you know exactly what your patient should expect. This also affords confidence in the quality of care your patient will receive, which can further be relayed to them as reassurance.

For any clinicians needing to refer patients for advanced endodontic treatment, EndoCare provides a team of experts and registered specialists in the field. We utilise cutting-edge equipment and evidencebased techniques to deliver exceptional patient outcomes. We will also keep you in the loop every step of the way as the referring clinician and provide any further support you may need once the patient returns to you for their on-going routine care.

For further information about the endodontic referral services available from EndoCare, please call 020 7224 0999 or visit www.endocare.co.uk n

about the author endocare, led by Dr Michael Sultan, is one of the UK’s most trusted Specialist endodontist practices.

Minimising resistance to change in the dental practice

There are lots of legitimate reasons why dental professionals may be hesitant to accept change in the practice. When looking to introduce new equipment or workflows, it is essential that these barriers are identified and addressed. Many will be controllable factors, which means that practice owners and clinical leads can improve the transition process, optimising long-term results for both the professional team and patients.

Understanding hesitations

There is a combination of individual, interpersonal and organisational factors that may instigate resistance to change. The latter two include effectiveness of communication regarding the proposed changes and how well the transitional period is managed by business leaders such as the practice owner or manager. Individual factors are more complex and varied, being affected by people’s attitudes to change, personality traits, emotions and previous experiences. As such, fear of the unknown is a major reason why some people are resistant to change in the workplace. Professionals might not fully understand what the change will mean for their workload, how it will be implemented or what will be expected of them in relation to new workflows or clinical treatments being

offered to patients. This can cause stress and must be addressed before people can successfully accept the change.

As might be expected, one of the other biggest barriers to successfully implementing change is a lack of training and education for the team. Individuals that feel ill-prepared to set-up, use or maintain new equipment can be hesitant to add it into their routine. This is especially important in the dental practice, because concerns for impact on patient care will often drive professionals to avoid any change they don’t completely understand.

Overcoming challenges

Luckily, the solution to this last issue is fairly straightforward – ensure your team have access to comprehensive training with any new equipment introduced to the practice! For key technologies, industryleading suppliers and manufacturers will offer training as part of their service. For the best outcomes, this should be tailored to the individuals who will be required to use the equipment most often. Providing access to reminders, guides and other educational resources beyond the initial training will also be helpful for many team members.

With regards to overcoming other barriers, it is essential to maintain clear and concise communication. Relevant information should be shared with

the team at the right time, ensuring consistency in messages from the practice owner, manager and any line managers or support staff. What the change will be, why it is being implemented and how it will benefit patients or the professional workflow should be discussed in detail.

Optimising benefits for advanced clinical care

Of course, the brand and type of new equipment you choose will also have an influence over the success of their implementation. For the greatest results, it’s necessary to consider what will be most appropriate for the treatment modalities often delivered in the practice.

For instance, if your team routinely delivers implant therapies, which include advanced placement and augmentation techniques, it is crucial that they have adequate diagnostic imaging to inform their treatment planning. Instead of referring patients out for CBCT scans, bringing the service in-house will afford a number of advantages, from increased speed and efficiency to improved patient comfort.

The CS 9600 CBCT scanner from Carestream Dental is an excellent example. With 5-in-1 imaging capabilities, it is designed to grow with your practice as your services develop. It offers crystalclear images for accurate diagnostics and a broad range of volume sizes for

clinical flexibility. Like all Carestream Dental solutions, it also comes with expert team training and support, further ensuring a smooth transition period for professionals who are learning to effectively integrate the scanner into their daily workflow.

change is good

By recognising common reasons for resistance to change in the dental practice, and proactively supporting the team with clear communication, tailored training and trusted technology, you can successfully take your business into the future. Embracing change not only elevates patient care, but it also streamlines and improves the professional workflow. Effective implementation is, therefore crucial.

For more information on Carestream Dental visit www.carestreamdental.co.uk

For the latest news and updates, follow us on Facebook and Instagram @carestreamdental.uk n

about the author

Nimisha Nariapara is the trade Marketing Manager at carestream Dental covering the UK, Middle east, Nordics, South africa, russia and ciS regions.

Carpal karaoke

Manual toothbrushing can be difficult for certain patients, with manipulating the brush effectively and reaching the accessible tooth surfaces proving challenging, leading to inadequate cleaning results. Similarly, manually brushing too fiercely can cause gingival trauma and bleeding, whilst the extra exertive pressure can wear the tooth tissue down.

Limitations in dexterity can therefore lead to an increased risk of oral diseases, as toothbrushing is unable to remove the trapped food debris and harmful bacteria. One complication to note is carpal tunnel syndrome (CTS), a condition whose impact extends beyond toothbrushing and into a patient’s overall quality of life. Dental practitioners should identify the risk factors for CTS to patients, ensuring that the preventative measures are taken to maintain optimal manual dexterity.

tunnel vision

CTS has an incidence of 7-16% in the UK, making it one of the most common compressive neuropathies. A carpal tunnel is the formation of a deep arch anteriorly in the wrist, next to the carpal bones and retinaculum. This compresses the median nerve as it passes into the hand, leading to numbness, tingling and pain in the thumb and first three fingers. Left unchecked, CTS can manifest as a burning that travels up the arm, wrist pain at night that interrupts sleep, and an overall weakness in the hand muscles – these can inhibit work, reduce productivity, and increase the risk of depression.

Women are three times as likely to develop CTS compared to men, with a common diagnosis bracket being the 30–60-year-old range. This is due to hormonal differences; changes during pregnancy or the menopause can cause more fluid to build-up, narrowing the carpal tunnel and intensifying CTS symptoms. Furthermore, a mastectomy can lead to lymphedema, a condition that inhibits fluid drainage and leads to further swelling. These conditions should be considered when patients presenting with these risk factors have a check-up.

Understanding the underliers

For both men and women, there are a variety of underlying health complications that put patients at risk of CTS. Patients with type 1 and type 2 diabetes may frequently encounter CTS, though the exact connection is unclear. This can make it difficult for dental practitioners and at-risk patients to prevent the likelihood of CTS developing. Thyroid disorders, kidney failure, high blood pressure and rheumatoid

arthritis are other conditions that can increase CTS prevalence – monitoring affected patients is essential.

hands-on jobs

Lifestyle habits like smoking and a sedentary lifestyle are also connected to CTS, but job type can be a crucial signpost. Patients who work in manufacturing, construction and computer-related roles are likely to have repetitive hand motions that can make CTS more noticeable. Dental practitioners too may find that complex procedures that require a firm grasp, fine tactile movements, prolonged static pauses and repeated motions may cause similar pain and tenderness in the hand and wrist and should take measures to rest where possible.

Patients whose lifestyle choices put them at-risk of CTS should be asked if they experience any pain or tenderness in their wrist, hands and fingers, especially when toothbrushing. For those that do, there are various options to manage the condition. Depending on the severity, this includes avoiding positions that overextend the wrist, taking mild pain medication, wrist splints, steroid injections and treatment of underlying conditions, all of which should make daily manual tasks easier and more comfortable.

Get electric

An electric toothbrush is an effective alternative to the traditional manual toothbrush for CTS patients; the excellent oral hygiene results are supported by the simple function of the device, with the brush doing the hard work instead of the hand. For patients with mobility issues, using an electric toothbrush ensures that each tooth is cleaned without causing pain or discomfort in the hand and wrist.

The Hydrosonic Pro, from Curaprox, is an innovative and invaluable asset to the daily oral hygiene routine. From its sleek appearance and ergonomic handle to its 7 cleaning settings and angled brush heads, everything about the first-class electric toothbrush is designed to improve compliancy and produce exceptional results in removing plaque and food debris. Presented with three brush heads – power, sensitive and single – patients can personalise their daily dental care to accommodate any mobility complications in the hands and wrists for the most comfortable clean possible.

CTS can have a major impact on a patient’s quality of life, inhibiting basic tasks and leading to a decline in oral health if toothbrushing isn’t effectively done. Identifying the vulnerable patients and guiding them towards the best management techniques ensures that they are sufficiently protected from oral disease.

To arrange a Practice Educational Meeting with your Curaden Development Manager please email us on sales@curaden.co.uk For more information, please visit curaprox.co.uk and curaden.co.uk n

about the author

Overcoming challenges with dexterity

For many dental professionals, tooth brushing is a simple, nonnegotiable part of the everyday routine. However, effective cleaning – tooth brushing twice a day, with the removable of debris from interproximal spaces – isn’t easy for some patients.

Dexterity is something that many people may take for granted, but for those that cannot clean their dentition with ease, their clinician is a primary source of support.

Dental professionals need to be aware of prominent dexterity issues, and how they may affect a wide array of patients. They should also understand the aspects of an oral hygiene routine that can be most difficult, and identify opportunities to use alternative oral hygiene adjuncts.

Making a connection

Hand dexterity is the ability to perform small, precise hand movements with flow and accuracy. Some studies differentiate manual ability and manual dexterity, with the latter describing the proficiency of the skill to perform a manual task depending on factors such as cognition.

Complications may be seen throughout the entirety of an oral hygiene routine. Take the use of traditional dental floss as an example. A patient needs to take floss from a dispenser, which uses unilateral or bilateral gross motor movement of the shoulder, elbow, forearm, wrist, and fingers; then onto the action of flossing itself, they require fine motor control with manual dexterity of the arms, hands and fingers once more.

Studies have shown that manual dexterity is linked to the effectiveness of dental flossing, and some that focus on patients in residential homes have found that manual dexterity can be connected to the amount of dental plaque present. Where more plaque is present, patients are more likely to develop periodontal infections, which can be severely damaging in the long term.

Patients affected

Causes for limited dexterity vary, but one of the most well-known connections is age. This, alongside grip strength, is a significant predictor of hand dexterity. Maintaining oral health into old age is paramount, as tooth loss can be severely detrimental to general health. Edentulism, which may come from periodontal disease, impacts mastication and makes bolus formation difficult, which creates dysfunctional swallowing. This may lead to a change in diet, and an avoidance of harder foods such as meat, fruits or vegetables, which can lead to malnutrition. The effects of malnutrition include an increase in severity of oral infections.

joints (knuckles). This complicates oral hygiene routines, especially those that utilise traditional dental floss. Patients with rheumatoid arthritis are found to have a greater risk of periodontal disease.

Other causes for limited dexterity may include cerebral palsy, muscular dystrophy, multiple sclerosis and stroke. These may appear in a patient’s medical history, or the individual could volunteer the information during an appointment. Engaging in a discussion around the difficulties faced when performing an oral hygiene routine can then help clinicians recommend the right alternatives for a patient’s needs.

recommending alternatives Powered toothbrushes have been recommended in the literature for individuals with decreased manual dexterity, owing to an improved action and control over tooth cleaning. By implementing this solution, the research even states that any individual can use good brushing technique, and experience greater plaque removal and improvement to gingival health, irrespective of manual dexterity. Water flossers have also been recommended for patients lacking manual dexterity as an alternative to traditional flossing, and should still be used alongside tooth brushing. Patients can disrupt plaque and debris with jets of water, using the different pressure options typically available, and they are also able to target bacteria beneath the gingival margin.

Patients should be sure to choose highquality and clinically proven adjuncts above all else. Clinicians can recommend those from Waterpik™, the only water flosser brand to be approved by the Oral Health foundation. With an easy-to-use oral hygiene solution in the Waterpik™ Cordless Advanced water flosser, patients can remove up to 99.9% of plaque from treated areas in just three seconds. Plus, it is clinically proven to be up to 50% more effective than traditional dental floss for improving gum help.

Rheumatoid arthritis is another potential cause for concern. It is the most common inflammatory arthritis and affects around 1% of the UK population, with women under 50 around four to five times more likely to be affected by men – though this disparity diminishes with age. As well as changes to systemic immune function, rheumatoid arthritis can cause physical impairment, most frequently affecting the wrist, proximal interphalangeal joint (middle of each finger) and the metacarpophalangeal

Dexterity may make oral hygiene routines challenging, but not impossible. Clinicians can provide support to patients in appointments, as well as through appropriate recommendations for oral hygiene solutions. This helps more patients maintain their dentition, for more healthy, bright smiles.

For more information on WaterpikTM water flosser products visit www.waterpik.co.uk n

about the author

Charleane McInally is a professional educator for Waterpik, and a dental hygienist.

Childhood obesity and the dental team

When treating children, dental professionals frequently encounter preventable oral health problems that can lead to severe consequences. Tooth decay fuelled by excessive sugar consumption is currently the leading cause of paediatric hospital admissions. However, the influence of high sugar, high-fat diets doesn’t stop with decay. For example, evidence shows that inflammation associated with obesity is linked to periodontitis and edentulism.

Dental professionals are accustomed to advising children and their parents on dietary habits that can impact on oral health. Where children are living with obesity, clinicians may also have an opportunity to intervene to support families in improving their lifelong oral health outcomes, as well as to reduce the risk of associated systemic health challenges.

The scope of the problem

In 2022-23 21.3% of 4 to 5-year-olds and 36.6% of 10 to 11-year-olds were found to be overweight. 15% of children between the ages of 2 and 15, and 19% of children aged between 11 and 15 were classed as obese.

Obesity increases the risk of type 2 diabetes, heart disease, stroke, cancer, mental ill health and other health conditions and illnesses affecting patients’ quality of life, and potentially shortening their lifespan.

iii When an individual becomes overweight, their risk of death increases by 20–40%,

escalating to 200–400% when entering the obesity category. Every year, obesity is thought to cause the deaths of around 3.4 million people.

A diet high in sugars and processed foods associated with obesity contributes to a higher incidence of dental caries among overweight children, but obesity also affects other processes within the body associated with oral health issues. For example, as well as contributing to inflammation, the production of saliva is impaired in obese patients, reducing its important flushing, antibacterial and remineralising properties.

Obesity is also associated with obstructive sleep apnoea (OSA) and other breathing problems. As well as being a systemic health concern, OSA is linked with xerostomia, dental caries, bruxism, and occlusal problems – especially in developing jaws. A bi-directional relationship between OSA and temporomandibular joint (TMJ) disorders, orofacial pain and bruxism has also been identified.

What is obesity?

Obesity is usually diagnosed using body mass index (BMI) calculations, which are achieved by dividing a patient’s body weight in kilograms by height in meters squared. While not as accurate in predicting health risks as imaging technology such as computed tomography (CT) and magnetic resonance imaging (MRI), BMI can, in most cases, quickly provide relevant information. A healthy weight is generally represented

by a BMI between 18.5 and 24.9 kg/m2

An individual is classed as overweight with a BMI between 25 and 29.9kg/m2, and obese with a BMI of 30 kg/m2 or more. A BMI of over 40 kg/m2 represents severe obesity. Risks to health occur at lower BMI thresholds for people with South Asian, Chinese, other Asian, Middle Eastern, Black African or African-Caribbean backgrounds. These are calculated by reducing the obesity threshold above by 2.5 kg/m2

Addressing childhood obesity in the dental surgery

The Making Every Contact Count (MECC) approach, launched by the NHS in 2016, encourages all healthcare professionals, whatever their role, to use opportunities during their interactions with patients to encourage positive improvements to their health or wellbeing. While not all dental practices conduct routine weight screening, a recent survey suggested that 60% of patients support the idea.

67% of parents and carers are in favour of receiving support with weight loss for their children from the dental team. While discussing the importance of oral hygiene, clinicians can educate children and their parents and carers on the risks associated with unhealthy dietary habits. Children’s oral hygiene routines at home can be enhanced with the use of tools like CLASSIC 03 BABY, 04 KIDS and 09 JUNIOR toothbrushes for children from TANDEX. These soft brushes are kind to children’s developing gingivae and enamel, and are specifically designed to help parents and carers teach children how to take special care of their teeth and gingivae. Where children are consuming excess amounts of sugar or processed foods, to prevent the onset of complications such as decay and periodontal disease and those related to obesity, it is important to provide families with honest and accurate information about potential risks to their health. Doing so can do much to improve the lifelong wellbeing of young patients. For more information on Tandex’s range of products, visit https://tandex.dk/ Our products are also available from DHB Oral Healthcare https://dhb.co.uk/ 

About the author Dr Jacob Watwood, UK Clinical Advisor for Tandex.

Our expert team completed 29 transactions in just 6 weeks, delivering over £900,000 in tax savings collectively for our clients as the tax year drew to a close. Plan your financial strategy with us today! Transform your dental practice with our expert guidance, whether you're selling a small, intimate clinic or a large, thriving dental empire. Practice SOLD £6,454,000 Mixed Group SOLD £6,200,000 Private

Schedule a FREE Practice Valuation Scan the QR code or visit lilyhead.co.uk

SOLD £736,000

Vitamin D and implant care

April to September are the months where your skin can take in vitamin D from sunlight in the UK, meaning for much of the year, many patients don’t have the necessary nutrients in everyday life. So far, 2025 has been kinder, as by late May we had more sunshine than the entirety of last year’s summer.

More sunlight, and certainly more vitamin D from other sources, is needed by many individuals. 50% of UK adults have low vitamin D levels. Clinicians need to understand the link vitamin D has to dental care, including the management and longterm success of dental implants. As well as this, they should know who is at the greatest risk of low vitamin D levels, and realise the opportunities to support affected individuals.

Shining a light

Vitamin D comes from a variety of sources. Alongside sunlight, the nutrient can be consumed through a diet rich in foods such as oily fish, red meat, liver, egg yolks, and even some breakfast cereals. Supplements are also used by some individuals.

A deficiency in the nutrient is linked with both caries and periodontal disease development, as well as compromised odontogenesis, which results in a hypomineralised dentition that is subject to fracture. There is also evidence that a deficiency in vitamin D can contribute to an increased risk of osteoporosis and broken bones. In dental implant management, this translates to concern over the role of vitamin

D in osseointegration and treatment success. The literature cites the nutrient as an important factor in the predictability of implant survival through its modulation of the immune system and healing process.

Vitamin D is vital to the development of osseus tissue due to its ability to stimulate the intestinal absorption of calcium and phosphate. It also activates osteoclasts and osteoblasts, regulating bone metabolism and mineralisation.

The literature has varying findings on the relationship between vitamin D, osseointegration and other conventional requirements for implant success. For example, it is reported that whilst a CBCT scan may show the presence of good bone density, a patient many not always have optimal vitamin D3 serum levels – where these are severely deficient, failure is more likely, which suggests that the nutrient is linked to implant success.

Other studies have found no significant association between vitamin D levels and the osseointegration of dental implants. There is a call for further research into the topic to ensure we completely understand the extent of the connection.

Most at risk

Vitamin D deficiency, as mentioned, is common. Clinicians must be aware of patients at risk, and identify opportunities to further tailor treatment plans.

One group that may require support is peri- and post-menopausal women. The

menopause significantly speeds up bone loss, leaving individuals at an increased risk of developing osteoporosis. Vitamin D deficiency is a known but neglected health problem for menopausal women, and supplements are used to better support bone health. If these patients seek a permanent restoration, clinicians need to be confident in the potential for osseointegration. They must also consider other treatments that the peri- and post-menopausal patient may be undergoing, such as hormone replacement therapy, which modifies the regenerative rate of osseus tissue – patients must be informed about any potential increased risk of osseointegration failure.

Other patients at an increased risk of vitamin D deficiency include those with darker skin tones. Melanin pigment protects underlying skin against damage against ultraviolet radiation, but this also reduces vitamin D synthesis. For an adequate intake of vitamin D year-round, many patients with darker skin tones need alternative solutions such as supplements.

Vitamin D deficiency is also common in older people aged 65 years and over, and pregnant and breastfeeding women –however, any patient can be affected.

treatment

Implementing safe and effective measures for treating vitamin D deficient individuals is key. Testing for vitamin D serum levels can give expert clinical insight, and identify patients who may benefit from supplements to create a

greater opportunity for dental implant success. Dr Fazeela Khan-Osborne, founder and lead tutor at One to One Implant Education, is beginning to implement the process of vitamin D testing at her London practice, The One to One Dental Clinic. She also explores the importance of holistic approaches to dental care in the PG Diploma in Implant Dentistry, a course that is ideal for dentists looking to take their first steps into implant treatments with confidence. From patient consultations and treatment planning, to the placement and management of dental implants, the course helps clinicians identify the techniques and support that can optimise implant success.

Vitamin D is an essential nutrient for general health, and many patients with a vitamin D deficiency may experience problems with their oral health care. When placing and managing dental implants, clinicians must be able to provide tailored support for optimal outcomes, every time. To reserve your place or to find out more, please visit 121implanteducation.co.uk or call 020 7486 0000. n

about the author

Dr Fazeela Khan-osborne is the founding clinician of the FaCe dental implant multidisciplinary team for the one to one Dental Clinic based on harley Street, london.

Impact of weight loss measures on oral health

With much discussion around the increased popularity of glucagon-like peptide-1 (GLP-1) drugs such as Ozempic for use in weight loss, it’s important that clinicians understand the potential impacts that they, along with other weight loss measures, may have on patients’ oral health.

Whilst maintaining a healthy weight is beneficial for many people, the ways in which some may choose to achieve this in the first place may have side effects for their oral health that they might not consider. A healthy diet and exercise are widely considered to be the best way to lose weight, but it’s important that clinicians support patients in maintaining their oral health whichever path they choose.

the hidden impacts of weight loss drugs

Originally intended for the treatment of diabetes, GLP-1 drugs, such as Ozempic, have recently become more widely used for weight loss. For many people, this has had a big impact, enabling them to reduce their weight quickly. However, it is important for those who are using them to be aware of the potential side effects –and for clinicians treating patients who are using these solutions to help manage any potential impacts on their oral health.

Research has suggested that adverse effects of GLP-1 drugs on oral health include dry mouth, halitosis, and dysgeusia (altered taste) – notably a sweet taste in the mouth,

potentially reducing cravings for sweet foods due to an increased sensitivity. This is thought to counteract the cravings for sweet foods that patients with obesity may experience as a result of elevated leptin levels.

Further to this, GLP-1 drugs impact receptors in the brain linked to diuretic, water intake, and natriuretic mechanisms and decrease renal angiotensin II values –with the aim to reduce water retention. As such, side effects of this include chronic diarrhoea, diuresis, and xerostomia (dry mouth). In turn, the drug can result in frothy saliva, halitosis, and eructation.

In addition to the effects on oral health, it’s important for patients to be aware of the potential impacts on overall health including acute pancreatitis, acute kidney injury, acute gallbladder injury, pulmonary aspiration, and diabetic retinopathy.

Juice cleanse or whole fruits?

For other people, a different approach to weight loss might be more appealing. Juice cleanses have grown in popularity in recent years, often seen as a convenient way to consume more fruits and vegetables. Diets which involve consuming juice and nothing else are marketed as a way to cleanse the digestive system and improve health overall. Whilst this seems plausible, along with the potential risks associated with particularly acidic fruits, juicing removes most of the fruit or vegetables’ insoluble fibre – potentially diminishing the health benefits afforded by whole fruits and vegetables. Low fibre can have a negative

impact on the microbiota, with metabolism and immunity affected.

Further to this, research has found that juice cleanses affect the oral and gut microbiome in different ways. The oral microbiome suffers a bigger impact – with increased abundances of bacterial taxa that process simple sugars. The oral microbiome reacts quickly, within three days, with a reduction in beneficial Firmicutes bacteria and an increase in Proteobacteria – associated with inflammation.

Keto

diet

Another popular choice for those looking to lose weight or feel healthier is the keto diet. This involves increasing intake of fat, reducing carbohydrates, and consuming moderate levels of protein. The idea behind this diet is that, after some time, the body will enter ketosis – with fat becoming the primary source of energy. However, the diet may reduce levels of vitamin A, C, and K, with vitamin C deficiency linked to poor wound healing and periodontal health , and tooth loss. Additionally, the breath can begin to smell sweet and fruity, a common problem often referred to as ‘keto breath’.

assisting patients in maintaining oral

health

In order to help patients maintain oral health whenever they are undertaking any weight loss measures, it is useful for clinicians to have a good understanding of the potential risks and to make appropriate recommendations.

It is also important that clinicians continue to emphasise the importance of daily oral hygiene with their patients. A high-quality toothpaste remains a cornerstone of any effective oral care routine. BioMin® offers an excellent solution, particularly for patients following highly controlled or restrictive diets, where added dietary stress can impact the entire body – including the teeth and gums. BioMin® F provides continuous protection by slowly releasing fluoride and essential minerals for up to 12 hours, making it ideal for patients who frequently consume acidic foods and beverages or experience xerostomia. Many people are willing to try weight loss management strategies such as those discussed above, without necessarily understanding the potential implications for their oral or overall health. As such, it’s important to support and educate patients wherever possible in order to help prevent and manage any potential symptoms and side effects. Calling all dentists! Do you want samples or a practice visit? Speak to our UK dealers, Trycare on 01274 88 55 44 or email: dental@trycare.co.uk, or CTS on 01737 765400 or email: sales@cts-dental.com

www.biomin.co.uk n

about the author alec hilton, Ceo at BioMin technologies.

X THE FACTOR

AN XTRA POWERFUL TEAM:

Perfectly coordinated products with easy and efficient application for safe and aesthetic results for direct restorations!

BONDING

Universal all-in-one adhesive for all etching techniques

FILLING

Fluoride-releasing composites for multiple indications

POLISHING

Superior finishing and polishing disks

For further information, please contact the SHOFU office 01732 783580 or sales@shofu.co.uk

Case 1: Anterior tooth restoration with composite
Case 2: Posterior tooth restoration with composite
Restorations with Beautifil II LS, Beautifil Flow Plus X and OneGloss by Erik-Jan Muts, M.Sc., Netherlands

Supporting oral health in menopausal patients

Soft drinks, hard impacts

Menopause is finally receiving the awareness it rightly deserves within healthcare, notably within the oral health sector. From sensitive teeth to burning mouth syndrome, the fluctuation of hormone levels throughout menopause are being scientifically linked to dental implications. Despite knowledge and attention improving within the industry, many women still struggle in understanding their symptoms. Attempting to navigate these oral changes alone, women often seek support and relief without professional input, in frequently counterproductive methods.

Alike other systematic changes, dentists have a vital duty to support patients through the menopause. So commonly, the connection between menopause and oral health is missed due to lack of knowledge around the topic, meaning that those suffering are unaware of the connection between the two and suffering the discomfort alone. This only highlights the importance for clinicians to actively approach the matter, asking questions, identifying the signs, and offering evidencesupported assistance.

Common oral consequences of menopause

Menopause introduces huge hormonal changes and challenges, particularly regarding oral health, yet countless symptoms are mislabelled and misunderstood. Xerostomia, or dry mouth, is one of the most frequently reported problems. Throughout menopause, oestrogen levels reduce. As oestrogen helps to regulate saliva production, the reduced salivary flow rate leads to symptoms including a much dryer mouth. The oral mucosa and salivary glands containing oestrogen receptors evidence the direct correlation between xerostomia and menopause.

Periodontal health is also challenged throughout menopause due to the oestrogen deficiency causing increased inflammation in gingival tissues. This causes patients to be more susceptible to periodontitis. In postmenopausal individuals, burning mouth syndrome (BMS) is ubiquitous. Hormonal variations cause these symptoms which range between tingling sensations to persistent burning sensations within the mouth. Furthermore, altered taste perception with reports of metallic and unpleasant tastes, hugely impacts both quality of life and nutrition for those experiencing menopause.

Not only are these symptoms extremely uncomfortable for the patient, but also cause greater problems in the long run for dentists and patients alike; the symptoms can lead to caries, mucosal irritation, ulcers, fungal infections, and more. These symptoms can develop both individually or simultaneously, and without the correct medical involvement and support, patients can often find themselves attempting to self-remedy without the correct knowledge to successfully do so.

Why patients require clinical guidance

With patients unaware and unguided, they are at huge risk of augmenting the severity of their symptoms, struggling with symptoms

for longer than necessary, and causing greater damage to their livelihood through an already difficult period. According to studies, only 16.23% of women correctly associate symptoms like their bleeding gums with menopause.

These issues not only create detriment and complexity to the lives of the patients, but the job of the dental teams fixing the issues is too, complicated further. Patients might avoid proactively seeking dental advice and care throughout this experience for a plenitude of reasons. To begin with, many patients are unaware of the connection between menopause and oral health. Others might feel embarrassed, may see the issue as more medical than dental, or minimise their symptoms, continuing their lives painfully.

offering proactive patient support For example, a patient self-soothing dry mouth faces the threat of inadvertently causing mucosal irritation or raising their risk of tooth decay, by using things like acidic artificial saliva products rather than seeking dental expertise. They might also overuse mouthwash, unknowingly exacerbating problems like ulcers, due to not knowing the consequences of alcohol-based mouthwash and its ability to worsen oral mucosa.

Similarly, somebody suffering persistent burning or specific oral pains such as ulcers and toothache, might unknowingly worsen their experience. They may utilise home remedies such as salt rinses to ease these symptoms, which can in turn spiral into worse symptoms both relating to discomfort and long-term oral health alike. Rather, clinicians’ interventions could help avoid this entirely by recommending evidence and research-based solutions such as soothing icy drinks or topical anaesthetic like Orajel Mouth Gel, which contains 10% benzocaine for fast, localised pain relief. Orajel offers a fast-acting, temporary relief rather than detrimental consequences of treatments like essential oils and salt water.

Patients can apply a thin layer of the gel directly to the affected areas, offering them a chance to take personal, successful control of their suffering and anguish through this period of their lives. With the gel blocking the nerves’ pain signals for two hours, the topical gel offers drastic relief in under two minutes.

Women’s experience of the menopause is impacting their lives more than it should due to a lack of knowledge which clinicians can offer through sensitive inquisition, advice, and support. This highlights the importance of clinicians and dental teams demonstrating proactive support by asking target patients menopausal-specific questions. This creates a mutually beneficial outcome for the dental team and primarily, the patient.

For more information, and to see the full range of Orajel products, please visit https://www.orajelhcp.co.uk/ n

about the author

The erosion of enamel at the incisal edge can be an aesthetic and functional problem for patients. It can create grooved or chipped teeth, with the potential for increased translucency which creates a bluish appearance. As erosion progresses, dentine is further exposed, which can facilitate tooth sensitivity.

There are a variety of causes for dental erosion. One prominent factor is diet, especially relevant with the modern beverage choices. Soft drinks, including carbonated treats and fruit juices, can have a significant impact.

Both clinicians and patients should be aware of the problems that soft drinks can create in the dentition. This helps patients inform their dietary choices, and begins to equip clinicians for identifying restorative opportunities.

Keep it carbonated

Carbonated drinks are known to have a high erosive potential, but the problem is worsened by the prevalence of these beverages in modern life. Many patients are trying to seek out ‘healthier’ options –between 2016 and 2021 in the European Union, the proportion of low/no calorie soft drink sales shifted from 23% to 30%, with regular soft beverages decreasing from 77% to 70%. In spite of this, detrimental effects are still widespread.

Erosion is recognised as a non-carious lesion of the tooth surface, where there is the permanent and continuous loss of enamel and dentine. The acid pH of soft drinks causes changes to the enamel surface; as the oral pH lowers, patients are at a greater risk of harm. The process doesn’t just rely upon acidic pH alone, as the mineral content of soft drinks and the ability to chelate calcium from foods and beverages can each increase the effects of erosion, alongside the presence of carbonic acid.

It’s important to note that most soft drinks commercially available have a higher acidity level than that tolerated by the dentition; a study into drinks available to American consumers found some of the most popular brands had drinks that were within 0.15 pH of lemon juice. Patients can enjoy these drinks at their leisure, but their daily consumption is linked to dental deterioration, and the consumption of soft drinks with meals is connected to mild or severe tooth decay. Patients should be aware of this, and in turn ensure they have an appropriate intake.

Non-stop risk

One significant issue with modern soft drink consumption is the continuous exposure

to harmful acids. The literature has found that acids in the mouth begin to erode enamel when the oral pH is lower than 5.5, sometimes called the crucial pH threshold, and the longer that the dentition are subject to this state, the increased opportunity for caries and erosion incidence.

Salivary flow helps to avoid this in part. The oral clearance rate of soft drinks has been found to be around 14 minutes, which is admittedly a short time for the dentition to be exposed to acidic beverages. However, if, for example, a patient has a soft beverage over the course of an hour, the oral pH may not completely recover so quickly; their teeth are then at greater risk of erosive harm and caries development for longer. For individuals having multiple soft drinks a day, many days of the week, the effects can quickly add up as the exposure increases in longevity.

A sustained effect of soft drinks is all the more likely due to their addictive nature. In one 2020 study, the cessation of sugarsweetened beverages over just a three-day period led to adolescents experiencing withdrawal symptoms and increased cravings, which would prompt individuals to keep seeking out these treats and continuing to fall below the crucial pH threshold.

on hand for support

When patients experience erosion in the dentition, most often seen in the palatal surface of the maxillary central incisors and the occlusal surfaces of the lower molars, clinicians need to be able to support them with confidence. Alongside individualised oral health instruction, with a discussion about the role of diet and soft drink consumption, this support includes providing high-quality restorations.

The 3M™ Filtek™ Easy Match Universal Restorative from Solventum, formerly 3M Health Care, is the versatile solution that supports dental professionals’ expertise and craftmanship. With a naturally adaptive opacity, the restorative creates a brilliant finish throughout the dentition, including an enamel-like translucency on the bevel and incisal edge. It also features excellent wear resistance and strength, to support patients long into the future.

Soft drinks have a substantial impact on the dentition. Improved patient knowledge may influence consumption, but clinicians will always be on hand to provide support.

To learn more about Solventum, please visit solventum.com/en-gb/home/oral-care/ For more updates on trends, information and events follow us on Instagram at @solventumdentalUK and @solventumorthodonticsemea n ©Solventum 2024. Solventum, the S logo and Filtek are trademarks of Solventum and its affiliates. 3M is a trademark of 3M company.

THE FINE ART OF MASTERING RADIANT SMILES

24 OCTOBER 25 OCTOBER

Dr Newton Fahl Jr

Dr Thomas Taha

Dr Rhodri Thomas

+ more

Host: Dr Paul Midha

Dr Newton Fahl Jr

Exclusive: Hands-on Course

To practice owners doing it all

In over 30 years of working with dental practices across the UK, I’ve seen firsthand the transformative power of a skilled Practice Manager (PM). They’re not just administrators – they’re the heartbeat of a thriving clinic, the glue that holds the team together, and the strategic partner who helps owners sleep better at night. Yet, when it comes to salary expectations and value, the conversation is often clouded by variables and overlooked benefits. Let’s clear the air.

The salary spectrum

What can a Practice Manager expect? Practice Manager salaries in the UK vary widely depending on:

• Location: London-based PMs can earn upwards of £35,000–£40,000, while regional roles may start closer to £25,000–£30,000.

• Number of sites: Multi-site managers often command higher salaries due to increased complexity and travel.

• Team size: Managing a team of 20+ versus a small practice of five requires different skill sets – and compensation.

• Scope of role: Some PMs focus on day-to-day operations like rotas, cashing up, and compliance. Others drive business development, marketing, and strategic growth.

Some PM/Business Development Manager salaries have been reported as high as £80k – a reflection of the value placed on leadership, autonomy, and results.

The hidden roi

One of the most overlooked benefits of hiring the right PM is peace of mind. When owners delegate confidently, they gain:

• Better sleep knowing the books are balanced and the team is supported.

• Less anxiety around compliance, staffing, and patient complaints.

• More time to focus on clinical excellence or personal wellbeing. This emotional ROI is hard to quantify – but it’s priceless.

Worth their weight in gold

In my experience mentoring PMs and matching them with practices, the most successful partnerships are built on:

• Trust: Owners must feel confident in their PM’s decisions.

• Loyalty: PMs who feel valued stay longer and invest more.

• Respect: Mutual appreciation fosters collaboration.

• Fairness: Both parties should feel they’re getting a good deal.

When these values align, magic happens. As a PM mentor, I encourage every manager I support to think beyond the day-to-day. Growth isn’t just financial – it’s cultural, operational, and reputational.

Some KPIs I recommend tracking include: Financial; Operational; Patient experience and; Team engagement.

indispensable

When Practice Managers monitor meaningful metrics – whether financial KPIs like revenue per patient and

That time of year

All dental care professionals should have 31 July written on their calendars in red – this is the date by which you MUST have renewed your GDC registration and checked that you have done your minimum number of CPD hours.

The Annual Retention Fee for DCPs this year is £96 and you can pay this via your eGDC profile when you re-register. To do so, you will have to declare that you have indemnity cover in place, so you need to check this. Please don’t leave all this till the last minute. Techie problems can occur, and if you miss the 31 July deadline, you wont be registered, which means you cant work!

If you are one of those dental nurses who joined BADN in July of whatever year, your indemnity is probably due for renewal now – and to renew that, you have to renew your BADN membership first – so you definitely mustn’t leave it till the last minute, in case there are any techie problems or queries about your renewals. Contact enquiries@badn.org.uk with queries re renewing your BADN membership. But don’t waste time contacting BADN

collection rate, or non-financial indicators like team turnover, patient satisfaction, and chair utilisation – they don’t just manage. They lead. They strategise. They elevate the practice. And the results speak for themselves, not only in culture and performance, but in bottom-line profits.

So, if you’re considering investing in a PM, do it with intention. Don’t hire a task-doer, hire a partner. Someone who will grow with your business, challenge you to see new possibilities, support your team through highs and lows, and help you build something truly remarkable.

And if you already have a PM? Celebrate them. Nurture their development. Ask them what they need to thrive. Because when they do, you will too.

There are many practice owners who manage without a PM and do it fantastically well. That’s no small feat. Balancing clinical care with business operations takes stamina, clarity, and serious skill.

But if you’re one of the owners who quietly dreams of having a

PM yet holds back, maybe because previous attempts fell short, or you’re convinced no one could ever manage your practice quite like you do, I see you.

Let’s be honest: clinicians often carry a healthy dose of perfectionism. You care deeply. You hold the bar high. And you’re protective of the business you’ve built with your own two hands. But wearing both hats –being full-time clinician and full-time manager – can stretch even the most capable person thin.

Here’s the reassuring truth: there is a PM out there who’s right for you. Someone who:

• Gets your mission and values.

• Performs best when expectations are clear.

• Compliments your strengths (rather than competing with them).

• Knows when to lead, and when to check in.

The key lies in clarity. Be upfront about your deal-breakers. Be transparent about your hopes and goals. Know what you truly need – from compliance and systems to growth mindset and team dynamics – and then, gently, loosen the grip on the rope.

Because delegation isn’t letting go –it’s growing wisely. n

About the author Lisa Bainham is president at ADAM and practice management coach at practice Management Matters.

re indemnity queries – our staff don’t have access to indemnity paperwork – contact TRM direct on trmadmin@ trafalgar.uk.com.

Why do you need indemnity? ‘Cos the GDC says you do! Standard 1.8 of Standards for the Dental Team states: “You must have appropriate arrangements in place for patients to seek compensation if they suffer harm.”

However, it is in your best interests to also be covered for any legal expenses which you might incur in the case of a GDC investigation/hearing. These fees can run into six figure sums – not an amount you want to have to pay yourself! BADN cover includes legal fee expenses.

When you register with the GDC (or renew your registration), you will be asked to confirm – by ticking a box –that you have suitable arrangements in place; whatever kind of indemnity you have, it must cover all the tasks you undertake at all the places you work in. Making a false declaration to the GDC is a very serious matter, so don’t even think about ticking the box without arranging adequate cover.

Many dental nurses think that they are covered by their employer’s policy, but this is not necessarily the case.

The GDC’s “Guidance on Indemnity” states: “…if you are relying on arrangements made by your employer, it is still your responsibility to make sure that you are covered for all the locations where you work and all the tasks that you do. You must not make any assumptions about whether or not you are covered by your employer’s arrangements – you must always check as you will have to provide proof of your indemnity or insurance if the GDC asks to see evidence, if a patient decides to make a claim against you, or in the event that a complaint about your fitness to practise is made to the GDC.”

In other words, if you are covered under anyone else’s policy (such as your employer’s), it is YOUR responsibility to make sure that you are in fact included, that you are covered for all the tasks you perform and in all the places you work, and to be able to prove it. Incidentally, many people working in hospitals, Trusts, the Armed Forces, etc. believe

that they are covered by “NHS” or “Crown” indemnity. Whilst this may be true as far as payment of patient damages is concerned, it specifically does NOT cover employees for legal fees when appearing in front of their regulatory body – i.e. the GDC. BADN’s advice sheet on the subject is available on our website or from enquiries@badn.org.uk

You can declare your CPD hours after 31 July – but it MUST be before 28 August, and the declaration cannot include any CPD you completed after 1 August as this should be included in next year’s declaration. You MUST complete 50 hours CPD in each fiveyear cycle and declare at least 10 hours over each two-year period. For more info on declaring CPD, visit www.gdc-uk.org/education-cpd/cpd. n

About the author pam swain MBe is Chief executive of BADn

The dental landscape in Northern Ireland

Although NHS dentists in each of the four home nations strive towards the common goal of providing patient care, since devolution in 1998, the systems under which they work can be markedly different from each other.

A system under pressure

At the heart of the current crisis is the erosion of NHS dentistry’s financial and structural integrity. Although the dental budget in Northern Ireland was loosely ring-fenced, that appears no longer to be the case, as over the last year or two it has been reallocated for other expenses, such as covering nurses’ pay increases. Consequently, funds for dentistry are insufficient to be able to offer dentists a pay and expenses uplift sufficient to cover the everincreasing costs of running a dental practice. Despite a long-running pilot scheme involving a limited number of practices, which aims to improve access for unregistered and migrant patients, the drift towards private dentistry continues. Participating practices receive a lump sum per patient and are expected to operate within the constraints of the NHS system. However, the antiquated Statement of Dental Remuneration (SDR) system, similar to the Scottish system, allows for a mix of NHS and private treatments and meaning dentists can benefit from the NHS fee for seeing the patient but are still free to offer private treatment.

Cost crisis and workforce imbalance

Rising costs are crippling practices across the board. Dental nurses, who pre-Covid may have been earning £10–11 per hour, now command £18 or more per hour. With the additional costs of pensions and the hike in National Insurance contributions, the real costs for a dental nurse are much higher. In addition, as the minimum wage increases for the lowest paid employees, to be able to maintain the differential between them and more senior staff members, all wages need to increase as well. So, an increase in the minimum wage could affect a practice’s whole salary structure. Another problem for practices is that hygienists are also in short supply. With no local training school in Northern Ireland for over a decade, the result is an ageing, part-time workforce earning £40–45 per hour, which puts a further strain on practice resources. However, associates are the real winners at the moment, and they are thriving. Many earn upwards of £15,000 per month without having the overheads and burdens of practice ownership. This has created a scenario where principals are left grappling with rising costs and diminishing returns, while associates enjoy high earnings and flexible schedules. In these circumstances, associates prefer the status quo to practice ownership, which has a negative effect upon the practice sales market.

The private shift: A new norm

The post-Covid era brought about a cultural shift in the profession. Young dentists, often just 18 months out of university, are opting to move into private practice, working three days a week and earning substantial incomes. Rather than being purely about money, this trend’s focus is on lifestyle and wellbeing.

They have no desire to subject themselves to the stress of high-volume NHS work with its accompanying constraints and bureaucracy. Consequently, they are choosing the slower pace and profitability of private care. Conversions from NHS to private practice are also becoming increasingly common. Anecdotally, most practices that make the switch see a 20–30% increase in profit while treating fewer, more appreciative patients. The SDR system in Northern Ireland facilitates this transition by allowing practices to zone their appointment books – registering patients under the NHS while delivering much of the care privately.

Patient access and public perception

As with many other parts of the UK, access to NHS dentistry remains a significant issue, particularly in rural and underserved urban areas. Dentists are reluctant to work in the NHS in these regions when private practice offers better pay and work-life balance. This has created dental deserts, where patients struggle to find care, exacerbating health inequalities. Another downside of NHS dentistry is public perception. Practitioners are reporting a growing attitude among some patients that NHS dentists are obliged to fix problems without any need for them, the patient, to take any personal responsibility for the state of their teeth. This entitled attitude, coupled with low patient charges and high expectations, contributes to professional burnout and disillusionment with the service.

Education and workforce pipeline

A critical bottleneck in the system is the limited supply of locally trained dentists. While Queen’s University Belfast has increased its intake, the majority of new students are international and unlikely to remain in Northern Ireland post-graduation. Of the 60 students admitted annually, only 20–25 come from Northern Ireland. Dentistry is a profession that is female-dominated and offers a great opportunity for women to combine a career with family, if that’s what they want. However, that often includes part-time working. The net result is that, of those 60 students, only 12–15 full-time equivalent dentists will be added to the local workforce annually.

To overcome this, a solution similar to the one successfully implemented in parts of Scotland during the oil boom of offering student debt forgiveness in exchange for a five-year NHS commitment could help address the access crisis and ensure a steady supply of NHS dentists.

Exit dilemma and practice valuation

For principal dentists nearing retirement, the future looks uncertain. Practices with high NHS commitments are increasingly unattractive to buyers, whether associates or corporates. As already mentioned, associates enjoy high earnings with minimal stress and so see little incentive to take on ownership responsibilities. Corporates, once aggressive acquirers, are now more cautious, especially given the inflated valuations and operational challenges of recent times.

This leaves us with a looming crisis of succession. Sadly, many principals may

find themselves unable to sell and could be forced instead to scale back and manage their practices part-time into their sixties.

Looking ahead: Reform or retreat?

Despite the bleak outlook, Northern Ireland’s dental system is not beyond repair. Compared to England, where clawbacks and UDA targets create a draconian environment, Northern Ireland still offers relative flexibility. Rather than having to take a ‘big bang’ approach like their colleagues in England, practices can make a gradual transition to private dentistry and, although the SDR system may be antiquated, it offers scope for creative adaptation.

However, without strategic intervention in education, workforce planning, and funding the system is at risk. NHS dentistry in Northern Ireland has reached a critical point. The current model, while not as punitive as England’s, is increasingly unfit for purpose. Rising costs, workforce shortages, and dentists’ shifting personal and professional values are driving a quiet exodus from NHS dentistry. Without bold, co-ordinated action, the region risks losing not just its dentists but the very foundation of equitable oral healthcare.

This year, Practice Plan celebrates 30 years of welcoming practices into the family, helping them to grow profitable businesses through the introduction of practice-branded membership plans. So, if you’re looking to switch provider or are considering a full or partial move away from the NHS and would like a provider who will hold your hand through the process whilst moving at a pace that’s right for you, why not start the conversation with Practice Plan on 01691 684165 or, for more information, visit https://www.practiceplan.co.uk 

About the author Nigel Jones is a Director at Practice Plan. He has been working in the dental sector for around 35 years and has a special interest in the development and future of NHS dentistry in the UK. His knowledge and passion for dentistry has led him to become a trusted voice, offering invaluable advice on how to strategically and successfully run a practice.

The case for carefully drafted agendas in litigation

Leanne Crossland, Claims Manager at Dental Protection, and Louise Jackson and Lucy Bowdery of Clyde & Co., discuss a recent case where a discontinuance was achieved one week before trial in a negligence claim

This case is an example of how records kept by a dental practitioner can be subject to interpretation months or even years later. It is a reminder that quality record keeping is important and key to defending clinical negligence claims. Practitioners should keep in mind that records should be clear, detailed and unambiguous where possible

We recently represented Dr A, a General Dental Practitioner (GDP), in a claim brought up by a relative of a deceased patient. The claimant pleaded that following Dr A’s alleged failure to identify an ulcer in the patient’s mouth, it went on to become squamous cell carcinoma and, sadly, led to the death of the patient around a year later.

One of the key issues in the case was the interpretation of a brief handwritten note within the dental records. While the claimant asserted that it indicated an ulcer being present on that date, Dr A maintained that the note had been misinterpreted and there was no lesion present.

The claimant relied upon expert evidence, which Dr A did not consider to support the allegations. In our opinion, the claimant faced a challenge proving her claim following the expert evidence – her legal team began trying to plug the gaps at a very late stage of proceedings.

Joint meeting – issues with agendas

In clinical negligence cases, one of the stages in the proceedings is for the experts instructed by both sides to meet

to discuss the issues and whether there is any agreement between them in terms of their opinion. This is referred to as the joint meeting, which results in a joint statement.

The joint meeting in this case was key. Given the strength of the defence and the flaws in the claimant’s case, it was essential to ensure that the agendas were limited to the issues in the claim. In such proceedings, it is expected that the agenda should be one which ‘directs the experts to the remaining issues relevant to the expert’s discipline, as defined in the Statements of Case’.

The claimant’s draft agendas were concerning. The claimant’s allegations were limited to the alleged failure to investigate a sore on the gumline, refer to secondary care for suspected cancer or to advise the patient to return for follow up in August 2018 and on three other dates.

The claimant’s agenda sought to introduce further allegations of breach, including whether the patient ought to have been prescribed mouthwash and whether it was reasonable to discharge for follow up in a week’s time and, further, what action ought to have been taken in respect of keratosis being present (none of which were allegations pleaded within the Particulars of Claim or supported by the claimant’s expert evidence).

The claimant also sought to introduce questions within the breach agenda that served no purpose following receipt of the joint statement, which confirmed that such allegations would take their claim no further.

Despite trying our best to reach a compromise with the claimant’s solicitor, we were left with no choice but to stand down Dr A’s expert until the claimant agreed to only the agreed questions being discussed.

The claimant issued an application suggesting that Dr A’s refusal to allow the meeting to proceed on the basis of their agenda was ‘both misguided and beyond their authority’. The claimant sought the Court’s directions on the questions which remained unagreed, maintaining them to be appropriate questions. The claimant sought to increase their budget by £51,570.50 because of the issues with the agendas and Joint Meetings.

We maintained our position as to the unreasonableness of the claimant’s questions, which did not accord with the direction of the Court as the questions related to matters that were not being disputed. Civil Procedure Rules (CPR) 35.12 1(a) makes clear that experts may meet to ‘identify and discuss the expert issues in the proceedings’.

It is important to not get ‘bogged down’ in semantics on agendas and take a step back to consider if the point is material. However, in this instance, we considered that it was essential to challenge the claimant’s proposed questions. Dr A had faced what we considered to be an unsupported claim since 2019, and it would have been wholly inappropriate for the claimant to be permitted to introduce new allegations at this late stage.

Joint statement of GDp experts

Eventually, the joint statement of the GDP experts was received and, within this, the claimant’s GDP expert had either done a U-turn or, as we suspected, never supported the key allegations of negligence made against Dr A.

At this point, the claimant’s oncology expert also did a U-turn during his joint meeting with our instructed expert and the claimant’s ENT expert declared that he did not have any dental training and would therefore defer to our expert on several matters.

The claimant made a significantly discounted Part 36 offer to lapse on the day before Trial, which we rejected. We instead pressed the claimant to discontinue the matter in light of the above and outlined that, otherwise, we would be making submissions regarding strike out within the Defendant Skeleton Argument for Trial. A strike out application is a legal request made asking the court to strike out part or all of the opposing party’s statement of case.

Discontinuance

The matter was proceeding to a threeday Trial but, with one week to go, the claimant discontinued her claim in full. This was a positive result for Dr A, against whom this claim should never have been brought, and for Dental Protection and Clyde and Co. n

Varios Combi Pro2

engine®

THE EVOLUTION IN ULTRASONIC AND POWDER THERAPY

Gentle yet powerful, reliable and exceptionally durable, Varios Combi Pro2 has a host of advanced features designed to improve efficiency, control and enhance patient comfort. Engineered with meticulous attention to detail, Varios Combi Pro2 is an investment in clinical excellence and in the health of your patients.

• Superbly comfortable water temperature, for both ultrasonic & powder

• Durable titanium ultrasonic handpiece

• Jet Nozzle for Perio Handpiece

• Auto Cleaning

• Removable Powder Chambers*

• Multi-functional wireless foot control

Elevate your practice and patient care with the Varios Combi Pro2 - the

iCart Prophy2

User-friendly and convenient trolley cart with the optional extra of a water bottle attachment, to create an independent water supply. This means that when the Varios Combi Pro2 is used with the iCart & bottle, you can treat patients without connecting to the external water mains supply.

Titanium Ultrasonic handpiece

• Durable & lightweight, with unrivaled ergonomics

• Non-slip & scratch-resistant Duragrip coating

• Slim LED handpiece enhances visibility

more details and to book click or scan the

Powder Therapy

FLASH pearl

Perio & oral hygiene Ultrasonic Tips

Supragingival powder for tough stains. Used with ProphyMate or the Varios Combi Pro (Prophy Chamber).

• Calcium carbonate powder (54 µm)

4

SOFT

Supragingival powder for moderate stains. Used with Prophy-Mate or the Varios Combi Pro (Prophy Chamber).

• Glycine based powder (65 µm). Water soluble, making clean up easier.

BUY ANY 2 PACKS OF FLASH OR SOFT pearl GET A FREE Prophy-Mate nozzle*

Perio Mate Powder

For subgingival biofilm removal or mild supragingival stains. Used with Perio-Mate or the Varios Combi Pro (Perio Chamber).

• Glycine based powder (25 µm)

POWDER THERAPY PATIENT LITERATURE

Available on request with Prophy-Mate neo, Perio-Mate and Varios Combi Pro purchases.

Shaped by change

Over the years, I’ve experienced my fair share of change – new management teams, the sale of practices I’d grown with, and the loss of mentors who once guided my path. Each shift brought its own set of challenges: uncertainty, disruption, and moments of doubt. But with each change came an opportunity – to grow, to adapt and, ultimately, to lead with greater clarity and purpose. These experiences have taught me that change isn’t something to fear; it’s something to harness. It’s in the uncomfortable moments, the unexpected transitions, and even the personal losses that we often find our greatest strength. In today’s fast-evolving dental landscape, change is no longer a disruption – it’s the new normal. From digital innovations to shifting patient expectations, dental practices must adapt quickly and effectively to stay competitive and deliver exceptional care. But how do you lead your team through change without losing momentum, or morale?

Change in a dental practice can take many forms. It might involve upgrading to digital X-rays or 3D scanners, adapting to new regulations, or expanding services to include cosmetic or orthodontic treatments. Practices may also introduce online booking systems or AI-driven patient communication tools to enhance efficiency and patient experience. Sometimes, change comes in the form of hiring new team members or restructuring roles to better meet the demands of a growing patient base. While these changes often lead to improved outcomes and streamlined operations, they can also spark resistance. That’s because change disrupts familiar routines, challenges comfort zones, and can trigger uncertainty or fear of the

unknown, especially in environments where consistency and trust are key.

One of the most common challenges in managing change within a dental practice is resistance from staff. For instance, a dental nurse might feel overwhelmed by the introduction of a new charting system, worried that it will slow her down or make her appear less competent. Poor communication can also create friction. If a practice manager fails to explain the reasons behind a new sterilisation protocol, the team may feel blindsided or unprepared. Another hurdle is lack of involvement – when hygienists or reception staff aren’t consulted about changes to patient flow or scheduling, they may feel undervalued and disengaged. Insufficient training is another pitfall – rolling out a new patient management system without proper onboarding can lead to frustration, mistakes, and inefficiencies. Lastly, there’s the emotional impact of change. Long-standing team members may feel threatened by younger hires who are more digitally fluent, which can lead to tension, insecurity, or a dip in morale.

Successfully navigating change in a dental practice starts with a clear vision. Before launching any new initiative, whether it’s teledentistry or a new piece of software, it’s essential to define the “why.” Explaining how the change will benefit both patients and staff, such as reducing no-shows or improving access for those with mobility issues, helps build understanding and support. Communication should be early, frequent, and transparent. Regular team huddles, updates, and open forums for questions foster trust and reduce uncertainty. Involving the whole team is equally important. For example, allowing dental assistants to test

new equipment or inviting receptionists to give feedback on scheduling software encourages engagement and ownership. Training is another cornerstone of successful change. Hands-on workshops, peer mentoring, or even short video tutorials can boost confidence and competence. As the change unfolds, it’s vital to track progress, monitoring patient satisfaction, workflow efficiency, and team morale, and be prepared to adjust the approach as needed. Finally, don’t forget to celebrate the wins. Whether it’s going completely paperless or hitting a patient care milestone, recognising achievements with a team lunch or a shout-out in the staff meeting reinforces a positive, forward-thinking culture.

Change isn’t just a process, it’s a journey. And in a close-knit environment like a dental practice, empathy matters. Leaders should listen actively, acknowledge concerns, and support their team emotionally as well as professionally. When managed well, change can be a powerful catalyst for growth, innovation, and improved patient care.

The key is to lead with clarity, communicate with compassion, and keep your team at the heart of every decision. In the end, every change, whether welcomed or unexpected, has shaped not just the practices I’ve worked in, but the professional I’ve become. From the loss of mentors to the challenge of starting over, each experience has deepened my resilience and sharpened my sense of purpose. Leadership, I’ve learned, isn’t about having all the answers, it’s about showing up with empathy, guiding others through uncertainty, and embracing change not as a threat, but as a chance to grow. Because in the dental chair and beyond, it’s not the absence of change that defines us, but how we rise to meet it. n

About the author Lianne scott-Munden, Clinical services Lead at Denplan.

The (true) joy of being your own boss

Ifind it hard to believe that it is now 20 years since I sold my practice and started along a path that has taken me away from clinical work and into an area that I find stimulating every day. It is rewarding and enjoyable. I only work with people who I like, who share my ethics and outlook, and respect my core values. Even harder to grasp is that it’s 40 years since I started the quest to be the owner of my own practice. It hadn’t been my first choice as a career path, I presumed that I would work as an associate, perhaps in several practices, and would find, or be offered, a partnership. I also

considered buying a practice. I almost made it to the altar on a couple of occasions. It never happened but a fortuitous weekend course led to my meeting several dentists of similar outlook and philosophy. Their support, encouragement and willingness to share their knowledge meant I was able to take the leap of faith and start not just one, but two practices of my own.

Was it hard? Of course it was; the hardest thing that I ever had to do. Was it worth it? I often questioned my decisions but, with 20/20 hindsight, yes it most certainly was. Would I do it again? Yes, but very differently.

Of course you can never start from the same place again, as the Greek philosopher, Heraclitus wrote, “Nobody can walk through the same river twice. It’s not the same river and they are not the same person.” The expensive mistakes I made along the way I would not make now but, being human, I would doubtless make different mistakes. Why? Because, as the same philosopher said, “Change is the only constant.”

Dentistry has changed in many ways from both two and four decades ago. Yet in the important ways, it is very similar. One of the books I keep close to hand was first published nearly a century ago and is still relevant. Edward Samson, a man who was clearly a forward thinker but who understood where his profession was coming from, wrote Progressive Practice - a treatise on Dental Economics . Its style is of its time and some of his attitudes would no longer be appreciated, but his knowledge and wisdom shine through.

In the foreword, Samson asks the perennial question, “Are the newly qualified fit for practice?” He, like many today, seemed to consider the next generation were never quite as ready as he was. In all honesty, I can say that no one is ever really ready to be a practice owner, but that does not mean that you cannot be a successful one.

Most importantly, in my belief, is that you become a success by being yourself and by your dedication to becoming the very best version of you that it is possible to be. Never stop learning. Always ask yourself

whether you are doing the best you can. Give to your chosen profession as much as you take out. Set the highest standards for yourself and accept that there are times when you don’t reach them – nobody is ever perfect all the time.

Understand the business of dentistry, a caring profession has different ethical standards from many other ways of making a living, your attitude and outlook must reflect that. Accept those responsibilities. Samson wrote, “Only the highest standard is good service.”

By taking pride in your profession and constantly trying to give your best, by not blaming anyone, any system or third party can, you reach the heights and challenges that you must set for yourself. Mike Wise taught that, “It’s what you do when no one is watching that counts.”

My conclusion: Once you know why you want to have your own practice, the how follows close behind. You will be working for the worst boss you will ever have and you cannot blame anyone else for your decisions, but the fruits of your labour are sweet.

Touch a nerve

The human body is wired together with nerves, carrying electrical impulses that relay information to and from the brain. Nerves regulate our thoughts, memory, feelings and movements. However, a damaged or severed nerve can cause intense pain and discomfort, inhibiting the body’s ability to properly function.

In dentistry, implant treatments carry the risk of nerve damage, especially to the inferior alveolar nerve (IAN). A serious complication, IAN injury can cause increased sensitivity for the patient, undermining the success of the treatment and leading to further management. Dental practitioners must understand the aetiology, risk factors and management techniques of IAN injury to best lower the chances of it occurring and prevent long-term dysfunction.

Getting on somebody’s nerves

The inferior alveolar nerve is a branch of the trigeminal nerve and supplies sensory innervation to the chin, lower lip, gingivae, molars, premolars and alveolar bone – what is felt in and around the oral cavity is heavily influenced by it.

During dental treatments, there are several causes of IAN injury. Extraction of the mandibular third molar is a notable cause, with a 0.4-13.4% incidence, whilst the second molar region accounted for 64% of reported IAN injuries. Inaccurate recognition of the IAN is reported as another frequent cause; the low bone density of the mandibular canal prevents it from appearing clearly on radiographs, leading to misjudgement on the location of the IAN and therefore a higher risk of damaging or severing it.

Whilst less common, local anaesthetic injections performed prior to treatment can cause direct or indirect damage to the nerve, causing compression injury. Other accidents during treatments that can damage the IAN include exposure of the inferior alveolar canal during surgery, drilling too deep, extensive use of surgical burs, and displaced tooth fragments.

Big risks and big impacts

Several risk factors are also worth highlighting. Research has found that older demographics are likelier to experience IAN injury, with an average age of 63. Secondly, women accounted for over 60% of reported cases and are therefore at a greater risk than men. The exact association is unclear but mandible size, changes in bone metabolism due to hormonal changes, and the development of osteoporosis (which

can cause excessive resorption of the alveolar ridge following tooth extraction) can be offered as explanations.

In mild cases, IAN injury can be shortterm and manageable. At its extreme, IAN injury has the potential for permanent disability. Its main symptoms include numbness, abnormal sensations or pain (pins and needles, tingling, burning, sharp pain), and increased sensitivity when touching the face. The impact of this can affect patients massively, interfering with eating and drinking, speech, kissing, applying makeup and shaving. Moreover, without the correct sensory information, patients may not feel tooth pain, leading to a higher risk of caries being undetected.

manage and maintain

To best ensure patients have a smooth implant treatment with minimal risk to the IAN, dental practitioners should be meticulous with the diagnosis and identification of risk factors, including preexisting disease and the close anatomic relationship between the tooth roots and the inferior alveolar canal. Having CBCT scanners can achieve superior visibility levels of the mandibular canal, too.

However, in the wake of an accident, a damaged nerve can be treated with physical therapy or by internal and external decompression, microsurgery and removal of the implant. A consistent dental care routine everyday can also help maintain the health of the IAN, ensuring that oral health is optimal with no gingivae resorption.

nerves of steel

Delivering successful implant treatments is vital for patients to eat, speak and smile with confidence. To stay up to date on the latest developments, consider a membership with the Association of Dental Implantology (ADI). With over 2,000 members, the community is open to all dental professionals, from students to senior clinicians. Offering a vast range of educational resources, superb networking opportunities and discounted services, a membership with the ADI takes your implant treatments to the next level.

The inferior alveolar nerve is integral for oral health and damage to it during treatment can have a huge impact on the patient’s quality of life. However, having a heightened awareness of its risk factors and knowing the best ways to avoid surgical accidents means dental practitioners can provide long-lasting implant treatments that satisfy the patient.

For more information about the ADI, visit www.adi.org.uk n

Improving the denture experience

Around 11% of adults in the UK have a denture, including 7% who have one in the upper jaw only, 3% with dentures in the upper and lower, and just 1% with a lone lower arch restoration. It’s still a popular solution for partial/complete edentulism – despite a rising popularity with dental implants, dentures are still more prevalent.

As patients continue to look to dental professionals for support with dentures, it’s important to ensure they are given the best experiences possible. Balancing aesthetics, function, and comfort in a denture is not a simple task, but it isn’t impossible either.

Clinicians need to be aware of how they can use the treatment preparation process to assess, meet and exceed patient expectations.

Patient communication

The process of receiving and using dentures is often difficult. Patients can face challenges with the aesthetics of the restoration, its impact on phonetics, and the general acclimatisation to functions such as chewing, especially when receiving complete dentures. It’s important to understand and manage patient expectations so that difficulties don’t shock an individual, and patients know that they can often be rectified with time.

Edentulous patients may poorly judge their own oral health situation and expect new complete dentures to fit and function as naturally as their original dentition, even despite the presence of ridge resorption, collapsed muscles, and further complications. Upon experiencing difficulties such as foreign object sensation, nausea, or difficulty chewing and swallowing, expectations may not be met, and patients can be tempted to no longer wear the restoration.

Having conversations about a patient’s previous experience with dental restorations and their expectations for an upcoming treatment is key. This helps clinicians understand a patient’s mindset and clinical needs, better informing unique treatment approaches. Where someone getting their first partial dentures may need plenty of advice for optimal maintenance, comfort and confidence, an individual who has worn dentures routinely for years will already have some settled habits and expectations. Each scenario will require a different interpersonal approach. Through conversations at the start of the denture-fabrication journey, a clinician can help to shape expectations, and improve satisfaction upon wear.

the importance of try-ins

Aesthetic try-in sessions not only help to establish patient expectations, but offer an opportunity for clinicians to identify and correct issues such as a midline change, the rotation of teeth, and the relationship of incisal embrasures. The literature has stated that it’s a critical step for aesthetic and phonetic evaluation.

Some modified workflows, especially those relying on computer-aided design and computer-aided manufacturing (CAD/CAM) processes, encounter obstacles at this point. A monolithic analogue (monoblock) denture try-in may be produced through 3D printing, a stand-out feature of the modern digital workflow, but this limits the possibility for individualisation within an appointment.v Where limited changes can be made through adjustments, a patient’s satisfaction cannot be improved within the appointment itself; they may leave uncertain about the solution’s appearance or function, affecting their confidence in the overall treatment. It’s for reasons such as this that adjustable wax denture try-in models are still so important. Clinicians can easily communicate changes to the patient in an appointment, repositioning teeth in the wax as necessary. This may still be utilised in a digitally-focused workflow, for example if the wax is placed upon a milled base. Any changes can then be passed onto the dental technician that is creating the final denture – these will then be able to improve patient satisfaction by ensuring the most aesthetic and functional restoration has been decided upon.

material

matters

Communication with the dental technician throughout the entire process is key, especially regarding the materials used in patient care. For high-quality wax denture try-in models that will fill patients with confidence, consider the new Aesthetic Wax available from Kemdent.

Denture creation is a lengthy endeavour. The workflow requires extensive communication between the clinician and dental technician, in order to fabricate a successful restoration. There have been propositions for a modified protocol which shortens the experience for the patient, most commonly by combining multiple clinical steps into singular visits and eliminating some conventional aspects, such as the aesthetic try-in step, entirely. However, it’s important to realise the value that these opportunities still have to the patient’s overall experience.

With four different colours to choose from (burgundy, ivory, plum, ruby) clinicians and technicians can work together on creating high-quality wax try-ins that help dental professionals find an optimal solution. With a range of colours, clinicians can ensure the wax try-in looks its best for each appointment. The brilliance of a new denture solution is built out of the preparation put in by clinical teams, dental technicians and patients alike. Ensuring each individual is confident in their final restoration can improve patient satisfaction, which will put a smile on the face of every dentist too.

For more information about the leading solutions available from Kemdent, please visit www.kemdent.co.uk or call 01793 770 256. n

about the author alistair mayoh, marketing Director at Kemdent.

Sponsored by

Sponsored by

Sponsored by

Summary

Summary

Summary

A ratio of two delegates per cadaver head, maximising the training experience.

A ratio of two delegates per cadaver head, maximising the training experience

A ratio of two delegates per cadaver head, maximising the training experience

Lectures include surgical anatomy with emphasis on advanced augmentation procedures, sinus floor elevation and augmentation procedures, sinus pathology, complex and full arch implant surgery

Lectures include surgical anatomy with emphasis on advanced augmentation procedures, sinus floor elevation and augmentation procedures, sinus pathology, complex and full arch implant surgery.

Lectures include surgical anatomy with emphasis on advanced augmentation procedures, sinus floor elevation and augmentation procedures, sinus pathology, complex and full arch implant surgery

Hands-on training includes anatomy review, evidence-based treatment planning, prevention and management of complications, sinus floor elevation procedures, block grafting, soft tissue grafting and implant removal .

Hands-on training includes anatomy review, evidence-based treatment planning, prevention and management of complications, sinus floor elevation procedures, block grafting, soft tissue grafting and implant removal .

floor elevation and of removal

26th - 28th November 2025

26th - 28th November 2025

09:00 - 17:00

09:00 - 17:00

21 CPD Hours

21 CPD Hours

26th - 28th November 2025

09:00 - 17:00

£3,399 + VAT

£3,399 + VAT

21 CPD Hours

West Midlands Surgical Training Centre, at the University Hospitals

Hands-on training includes anatomy review, evidence-based treatment planning, prevention and management of complications, sinus floor elevation procedures, block grafting, soft tissue grafting and implant removal .

£3,399 + VAT

Coventry and Warwickshire

West Midlands Surgical Training Centre, at the University Hospitals Coventry and Warwickshire

NHS Trust, Clifford Rd, Coventry, CV2 2DX

West Midlands Surgical Training Centre, at the University Hospitals Coventry and Warwickshire

1 day of lectures on complex surgery, including full arch procedures.

1 day of lectures on complex surgery, including full arch procedures.

1 day of lectures on complex surgery, including full arch procedures.

2 days of hands-on surgical practice on fresh cadavers.

2 days of hands-on surgical practice on fresh cadavers.

2 days of hands-on surgical practice on fresh cadavers.

NEW for 2025!

NEW for 2025!

NEW for 2025!

CBCT scans of your specimen will be provided in advance to allow you to plan your session. 10% discount for VSSAcademy Alumni.

CBCT scans of your specimen will be provided in advance to allow you to plan your session. 10% discount for VSSAcademy Alumni.

CBCT scans of your specimen will be provided in advance to allow you to plan your session. 10% discount for VSSAcademy Alumni.

LIMITED Places

NHS Trust, Clifford Rd, Coventry, CV2 2DX To book now, email

To book now, email courses@vssacademy.co.uk or visit vssacademy.co.uk

To book now, email courses@vssacademy.co.uk or visit vssacademy.co.uk

NHS Trust, Clifford Rd, Coventry, CV2 2DX To book now, email

A familiar face for 50 years

It is crucial for dental professionals to work with a dental supplier they can trust to reliably and efficiently deliver high-quality products. Not only does this facilitate the delivery of exceptional patient care, but it also makes life easier for the dental team.

DD has been a recognised organisation in UK dentistry for more than five decades. Not only do we offer more than 30,000 products and equipment solutions designed to streamline workflows, elevate clinical outcomes and improve practice management, but we also provide the full suite of support services needed to keep your practice running at its best.

A rich heritage

DD started out life as Billericay Dental Supply Company, which was set up in 1971 by Gordon Mills. It was originally a mail order service, with a team of representatives brought together to start visiting practices in 1988. The company was rebranded to ‘The Dental Directory’ shortly afterwards, which grew exponentially in the next few years. Even back then, the organisation was committed to listening to the profession and tailoring services to meet their needs. A customer survey in the early 1990s showed that professionals valued independent product advice and guidance in place of communication with a single manufacturer. The Dental Directory became that independent provider for thousands of professionals.

Known as either Dental Directory or ‘DD’, the company has continued developing to meet the needs of the evolving profession for 50 years. There are several reasons why 12,000 dental practices across the UK now trust us to facilitate their patient care today. Our rich and ever-developing heritage in the profession is just one of them.

Still listening

In order to know what dentists and team members need, and to develop services accordingly, DD continues to engage directly with the profession on a regular basis. It’s crucial that we listen to what you want and need, as only then can we meet and exceed your expectations.

We understand that dental teams today seek value in the products and services they choose. Competitive pricing is important, but it’s not everything. That’s why we make it a priority to ensure excellent customer service, which means a fast and efficient response to queries as well as comprehensive technical support.

A comprehensive portfolio

DD is known for its broad product portfolio, which encompasses everything from restorative materials and endodontic handpieces to decontamination equipment, CBCT imaging units, facial aesthetic solutions and so much more.

What some dental professionals may not realise is the extent of the equipment maintenance solutions we offer. These include regular servicing, equipment validation and technical repairs, with a firsttime fix rate well over 90%. Our fixed-price service plans make it simpler and more affordable for practices to keep essential equipment operating smoothly for longer.

To deliver a reliable service across our spectrum of products, we work closely with each manufacturer. Our multi-skilled engineers are highly trained on each brand’s equipment, ensuring they know exactly how to test, maintain and troubleshoot for every piece of equipment. We even offer a guarantee that we’ll have an engineer on-site when required within 8 hours, minimising the downtime and disruption your practice may experience. Further still, we provide a warranty as standard with all repairs we perform for complete peace of mind.

As such, practices benefit from having all this from a single provider, affording greater ease, speed and cost-efficiencies for the dental team. It also means that we really understand every aspect of each practice we work with, so we can provide more comprehensive advice that takes the whole business into account for even greater value and efficiency.

Always aiming higher

With 50 years behind us, we know it’s important to continuously evolve with the profession and enhance our offerings. There is always room for growth and at DD, we are proactively working to improve on aspects like stock availability and ordering workflows. Changes have been made and new systems implemented to ensure we continue to meet the commitments we make to our customers.

Ultimately, DD will keep building on its heritage to support the dental profession of today and tomorrow. We offer a huge range of products and maintenance services to cater for practices of all shapes and sizes. Find out more by contacting us today!

For more information on the products and maintenance services available from DD, please visit ddgroup.com or call 0800 585 586 

In a broad range of industries and sectors, people seek high-quality customer service as much as they desire quality products. Dentistry is no different. The effectiveness and efficiency of solutions implemented in the dental practice are paramount to excellent patient care and can’t be compromised.

The support delivered to practice teams builds on this and is often what sets product and equipment suppliers apart from others in the market.

We have seen this first-hand at Eschmann. We understand how our services benefit our customers and we are proud to be known throughout the profession for maintaining high quality standards across the board.

The numbers don’t lie. We currently have more than 8,000 service contracts with dental practices in the UK. But more than this, a massive 99% of these service contract customers renew each year.

We care to keep you covered

The Eschmann Care & Cover service and maintenance plan provides the ultimate peace of mind for dental practices. Designed to keep essential decontamination equipment operating efficiently for longer, it includes:

• Annual Validation & Pressure Vessel Certification (PSSR)

• Annual service and software upgrades

• Unlimited breakdown cover

• Unlimited original parts and labour

• On-site support from 50+ Eschmanntrained engineers nationwide

• Remote, rapid response telephone support

• Enhanced CPD user training

The combination of the above means that practice compliance is optimised and the risk of malfunction and breakdown is minimised for your Eschmann autoclaves, washer disinfectors and other infection control equipment. Not only does this save you time and money in the long run, but it also affords confidence to the team that they can deliver an uninterrupted patient service. The Enhanced CPD user training will also teach staff to validate, use and maintain the equipment correctly in-house, optimising product life for even greater return on investment and reduced stress for the team.

Hayley Wright, Head Receptionist at Goldsworth Road Dental Centre in Surrey, discusses what she feels are the key benefits of the package:

“We have been working with Eschmann for about nine years now. Our calls and texts are always answered promptly and someone is constantly on hand to help if we need it. The service is brilliant, they always go above and beyond. We have five pieces of equipment from Eschmann, including two autoclaves and two washer disinfectors, and have found them to be of great quality. They are all supported by the Care & Cover service package to keep up with regular servicing. I would rate Eschmann 10 out of 10, I can’t think of any way they could improve!”

Beyond expectations in infection control

Dependable equipment

Of course, investing in Eschmann solutions is further maximised by the industry-leading quality of the equipment itself. With nearly 200 years of experience in infection control, Eschmann is an expert in decontamination, having led the way in autoclave development and manufacturing for the past 6 decades.

The Little Sister brand has become synonymous with quality and reliability, making it a go-to range of solutions for dental practices around the globe. The products’ robust designs, combined with ongoing professional care and expert maintenance, has also been shown to deliver unmatched product longevity.

Tracey Cage, Practice Manager at Kelvin House Dental Practice in Kent, shares just how long their last autoclave remained operational in the practice:

“We would absolutely recommend Eschmann equipment and the Care & Cover maintenance programme. The entire team have done a fantastic job and we have no complaints at all. The fact that one model lasted 16 years and we have another that is already 12 years old speaks volumes for the quality of the product and service.”

Proving that this is not a stand-alone experience, Maxine Northall-Rollins – Stock Controller at Scott Arms Dental Practice in Birmingham – adds:

“We have had some of our Little Sister autoclaves for well over 10 years now and have been really happy with them. The machines are easy to use and very reliable. We protect our autoclaves with the Eschmann Care & Cover servicing and maintenance package, which has also been great. All the engineers that visit have been absolutely brilliant. I would unreservedly recommend Eschmann products and the Care & Cover service package to others.”

Support you can’t do without

It is crucial that you can maintain effective and efficient decontamination workflows every day. This requires high-quality equipment and the right technical support to keep each product functioning as it should. That’s why Eschmann is proud to deliver service and support that thousands of UK practices today can’t do without.

For more information on the highly effective and affordable range of infection control products from Eschmann, please visit www.eschmann.co.uk or call 01903 753322. 

-Ready to use, pre-mixed 2g syringe with 20 x 22G Cannulas

-Fast setting time: 3 to 5 minutes

-High compressive strength

-No discolourations

-High radiopacity

-Wide range of indications

INDICATIONS INDICATIONS

INDICATIONS

Streamlining molar replacement with a guided workflow

dr Nick Fahey discusses an immediate implant case, which shows the difference that a digital workflow and guided approach can have for patient outcomes.

Introduction

Immediate implant placement guided by digital planning has been shown to deliver highly accurate results. The literature also suggests that a guided approach to surgery affords time-saving benefits, as well as ensuring predictable and stable clinical outcomes, in addition to reduced postoperative discomfort for the patient.ii

To further enhance the clinical and aesthetic outcome in immediate implant cases, soft tissue management is often critical. When implemented appropriately, a connective tissue graft contributes to soft tissue stability alongside immediacy.iii

The following case demonstrates a combination of these techniques to deliver the very best result for a patient who had previously had a less-than-ideal implant experience.

Presentation

The patient was referred with a hopeless prognosis for the UL4. By the time they attended the practice, the crown of the tooth had completely fallen out and the tooth was fractured at the gingival level.

A full medical and dental history was taken, which revealed that she was taking HRT, had no allergies, was a non-smoker and didn’t drink alcohol. The patient was a regular attendee at her routine practice, where she had undergone clear aligner orthodontics in 2020. She also had existing implants in the UR6, UL5 and LL7 sites. Oral hygiene was good, reporting twice daily brushing and daily interdental cleaning. Her BPE score was 111/121 at the consultation.

Fig. 1 Original radiograph from referring GDP

Fig. 2 Pre-operative radiograph taken on day of presentation

Fig. 3 Digital implant planning

Fig. 4a Implant positioning planned

Fig. 4b Implant positioning planned

Fig. 5 Surgical guide in situ

Fig. 6 Implant placed

Fig. 7 Soft tissue graft harvest site sutured

Fig. 8 Soft tissue graft harvest site covered with OraAid

Fig. 9 Connective tissue graft prior to placement

The patient reported permanent numbness in the lower left-hand side of the lip after previous implant placements.

treatment planning

The case was ideal for an immediate implant placement because the adjacent implant crown was less than ideal. It was important not to disturb the gingiva around this implant by raising a flap and the existing implant was also within very close proximity of the nearby molar. A minimally invasive approach was therefore indicated and an immediate workflow allows for this.

Using a digital and a prosthetically-driven approach, the ideal 3D implant position was determined. Guided surgery would be implemented in order to further ensure the least invasive procedure and optimise accuracy of implant placement given the narrow parameters being worked within. The necessary scans were used to fabricate the surgical guides and to transfer the planning to the surgical navigation software. Hard and soft tissue augmentation would be required in order to ensure primary stability and enhance the long-term functional and aesthetic outcomes.

surgical treatment

On the day of surgery, the UL4 was extracted atraumatically. The socket was thoroughly debrided and disinfected with a three-minute application of a chlorine dioxide gel. The socket epithelium was also removed with a diamond bur to prepare for the connective tissue graft (CTG). Using both the static guide and surgical navigation, the osteotomy was performed.

Fig. 10 Connective tissue graft placed and sutured, with crown fitted

Fig. 11 One-week post-operative healing of surgical site

Fig. 12 lateral view one-week post-operative

Fig. 13 Occlusal view one-week post-operative

Fig. 14 Radiographic record of the healed implant with provisional Fig. 15 Buccal view close-up of final restoration

Fig. 16 Occlusal view of final restoration

Fig. 17 Radiograph of final restoration

Fig. 18 Buccal view of final restoration

A slow drilling procedure <50 RPM was used to allow collection of autogenous bone, which was mixed with finely cut L-PRF membrane and PRF liquid to create a sticky bone graft material.

A 4.2mm x 15mm Tapered Pro Conical implant with Laser-lok was placed through the surgical guide and exactly according to the plan. The prepared autogenous mix grafting material was packed around the implant to fill any bony defects for increased stability.

A CTG was placed into a split-thickness pouch on the buccal aspect of the implant site, with some of the harvested soft tissue added to the de-epithelialised sulcus. The key here was to ensure that the graft material did not interfere with the neighbouring tooth to encourage papilla height and volume.

L-PRF membranes were placed over and around the implant site, with a laboratoryfabricated PMMA provisional crown added to stabilise the entire graft. This crown was left in situ for 12 weeks of healing.

Outcomes and reflections

At the one-week review appointment the healing was uneventful. Radiographs were taken to confirm implant positioning and full seating of the provisional crown. After three months of healing, papilla height was maintained or improved, with the surgical site harmonious with the surrounding tissue colour, texture and volume for a very natural result.

Comparison of the UL4 implant with that in the UL5 provided in another clinic eloquently shows the difference that meticulous planning and execution can have on implant placement in a posterior region. Despite

a potentially challenging situation, planning made the execution of treatment fairly routine. The ability to utilise immediate protocols also afforded the patient the many benefits associated with this type of treatment.

For more information on the Tapered Pro Conical https://www.biohorizons.com/ Products/TaperedProConical n

References available upon request

about the author

dr Nick Fahey Bds, Mclin.dent (Pros) MRd RCs(ed), FRaCds and MFds RCs (eng.)

Nick’s professional interests include all aspects of dentistry related to dental implants and fixed and removable prosthodontics. As a pioneer in computer-guided surgery, Nick has taught a generation of dentists about guided surgery and has been a KOL in this field for many companies. He is particularly interested in computerguided surgery and guided surgical navigation for simplification of surgical placement of dental implants and has authored a textbook called “Guided Surgery. Making Implant Placement Simpler”. Nick is also a co-director of the FitzFahey Academy. Aside from his teaching and mentoring commitments, Nick works as a Specialist in Prosthodontics and is the Principal Dentist of Woodborough House Dental Practice in West Berkshire.

Root resorption following orthodontic treatment in a patient with orofacial myofunctional disorder

One of the most frequently reported complications of orthodontic treatment is external root resorption (ERR), a phenomenon characterised by the progressive loss of dental tissue at the root level.1,2,3 Although in most cases it presents mildly and goes unnoticed, in more advanced forms it can seriously compromise the integrity of the affected teeth, impacting both the stability of the orthodontic outcome and the longterm prognosis of the teeth involved. The literature has identified a wide range of factors associated with the development of ERR during orthodontic therapy, including: the intensity and direction of the applied forces, the duration of exposure, the type of tooth movement, root morphology, and the individual biological response of the patient.4,5,6 In addition to these mechanical and anatomical aspects, certain orofacial myofunctional disorders (OMDs) have been shown to increase the risk of resorption. Specifically, tongue thrusting – a common manifestation of OMD – has been identified as a possible aggravating cofactor, or even a primary trigger, in the resorptive process.7,8 Tongue thrusting is defined as an altered tongue function pattern, in which the tongue adopts an improper position during essential activities such as swallowing, speech, or even at rest. This habit is characterised by abnormal, sustained, and uncoordinated pressure of the tongue against the anterior or lateral teeth, particularly at the palatal surface of the maxillary incisors, potentially disrupting proper dental alignment and the functional balance of the orofacial system. When persistent, tongue thrusting should be considered a key indicator of underlying orofacial myofunctional imbalance.

In many cases, this behaviour is associated with atypical swallowing, an immature swallowing pattern that persists beyond childhood and is accompanied by abnormal muscular compensations.9.10 In normal adult swallowing, the tongue presses against the palate, the teeth are in occlusion, and the masticatory muscles (especially the masseter) act synergistically. In contrast, atypical swallowing involves tongue protrusion between the teeth, exaggerated contractions of the perioral muscles, and a loss of neuromuscular coordination. This dysfunctional pattern – frequently categorised under OMD – can not only impair craniofacial development, but also lead to or sustain conditions such as anterior open bite, excessive incisor proclination, and inadequate lip seal.10-12

From a clinical perspective, the coexistence of an orofacial myofunctional disorder, such as tongue thrusting, in patients undergoing orthodontic treatment represents a scenario requiring special attention. Early diagnosis and therapeutic intervention (e.g. myofunctional therapy) are essential, as failure to address the habit may lead to post-treatment instability, interfere with the control of applied forces, and increase the risk of root resorption, particularly in the anterior region.

In the following case report, we present a patient who developed severe root resorption of the anterior teeth, along with orthodontic relapse, despite the presence of fixed retainers in both the upper and lower arches.

Case Report

We present the case of a 29-year-old male patient who visited the dental clinic complaining of mobility in the upper anterior teeth and pain during mastication, as

well as reporting a relapse of a previous orthodontic treatment. The patient had undergone orthodontic therapy at the age of 20, and following the successful closure of an anterior open bite, the brackets were removed after two years of treatment. At that time, a fixed retainer was bonded to both the lower and upper arches (lingual and palatal sides, respectively). Upon completion of the treatment, there were no symptoms associated with the anterior teeth, and the patient denied having experienced root resorption related to orthodontics, although he does not possess radiographic evidence to confirm this.

Despite having an anterior open bite and a persistent atypical swallowing pattern, the original malocclusion was corrected without addressing the underlying habit. As a result, the patient continued to interpose the tongue between the teeth during swallowing, exerting a lingual thrust that, six years post-treatment, led to a relapse. A new posterior open bite has also developed, still in its early stages, and is more evident in the lateral view (Figure 1).

Atypical swallowing, frequently associated with tongue thrusting, is one of the most common orofacial myofunctional disorders (OMDs) in children and adolescents, often persisting into adulthood when left untreated. This abnormal swallowing pattern is characterised by inappropriate muscle activation during the act of swallowing, including excessive contractions of perioral muscles, anterior tongue protrusion, and lack of proper occlusal contact. In addition to influencing dentofacial development, atypical swallowing is often accompanied by oral breathing, poor lip seal, and postural alterations, all of which contribute to a disruption in orofacial balance.

Once an open bite, particularly in the posterior region, is established, the tongue often adopts a resting or functional position within that space. This postural adaptation can lead to a persistent habit of tongue interposition, which not only perpetuates the malocclusion but also triggers orthodontic relapse. In patients with compromised periodontal support, the continuous pressure of the tongue against the dentition may accelerate deterioration of the periodontal attachment apparatus, potentially resulting in premature tooth loss (Figures 2–3). To further assess the case, a panoramic radiograph was taken, as the patient also reported pain and increased mobility in the anterior teeth, particularly in the maxillary region. The radiograph revealed significant root resorption affecting the four maxillary incisors (Figure 4). To better evaluate the extent of the damage, a cone-beam computed tomography (CBCT) scan was performed. Sectional views confirmed severe root resorption in teeth 11, 12, 21, and 22, with more than a third of root structure lost in each tooth, accounting for the pain and mobility reported by the patient (Figures 5–8). Evaluation of the CBCT images also revealed resorption in the canines (teeth 13 and 23), which was not initially apparent in the panoramic radiograph (Figures 9–10). Given the severity of the root resorption, a new orthodontic treatment was ruled out to avoid jeopardising the structural integrity of the incisors and canines further. Instead, a myofunctional re-education strategy was implemented to address the underlying habit.12,13 Orofacial myofunctional therapy (OMT) represents a valuable therapeutic tool in such cases. Through targeted exercises and neuromuscular retraining, OMT aims to restore normal function of

Fig 1

Extraoral view of the patient showing orthodontic relapse due to sustained tongue pressure on the anterior and lateral segments, in addition to the lack of re-education of atypical swallowing and tongue interposition habits, which should have been addressed prior to orthodontic treatment.

Fig 2 Diagram illustrating tongue posture during normal (adult) swallowing versus atypical swallowing. In the latter, the tongue protrudes between the incisors, exerting forward and lateral pressure on the dentition.

Fig 3 Schematic representation of the consequences of tongue thrusting, beginning with anterior open bite and progressing to posterior open bite, as observed in this patient.

Fig 4 Panoramic radiograph used to complete the diagnosis, revealing root resorption in all four maxillary incisors.

the oral, facial, and cervical musculature, improving proprioception, muscle tone, and coordination of essential functions such as swallowing, nasal breathing, lingual posture at rest, and lip seal.

In the orthodontic context, OMT serves not only as an adjunct to mechanical treatment, but also as a means to prevent relapse and enhance the long-term stability of therapeutic outcomes.14,15,16,17 In the present case, the goal was to prevent worsening of already compromised teeth and to re-establish normal oral functions. The therapy also targeted neuromodulation of oral functions through personalised exercises designed to enhance strength, tone, coordination, and mobility of key muscles such as the orbicularis oris, buccinator, masseter, suprahyoid group, and especially the tongue.

A cornerstone of OMT is tongue training and the normalisation of the swallowing pattern, especially in patients with atypical swallowing. The main objective is to encourage the tongue to rest passively in an elevated position against the palate, avoiding forward or downward projection during swallowing. This re-education is essential for correcting tongue thrust, one of the most detrimental functional habits in orthodontics. Treatment involves a series of exercises aimed at strengthening the orofacial musculature, improving proprioception, and establishing a coordinated motor pattern during the act of swallowing.14,15,16,17

The rehabilitation phase was initiated by instructing the patient in a series of exercises designed to modify the swallowing pattern and thereby rebalance the forces within the oral musculature. The patient received in-office training on specific exercises targeting tongue function re-education, which he was instructed to continue regularly at home. Achieving stable, longterm results requires a shared understanding between clinician and patient that the therapeutic process is not complete until the myofunctional rehabilitation phase is fully

implemented. Success is highly dependent on patient compliance and consistency.

The first exercise focused on tongue proprioception, helping the patient recognise the correct tongue position during swallowing. Proper swallowing requires a complete oral seal, allowing the food bolus to move efficiently toward the pharynx. In patients with open bite (anterior or posterior), this seal is often replaced by compensatory tongue interposition, reinforcing the dysfunctional pattern. This initial exercise aims to develop awareness and automaticity of correct tongue posture.

The patient was instructed to place the tip of the tongue against the palatal rugae, just behind the maxillary incisors, and press gently against the palate while maintaining lip seal without tooth contact. The exercise was to be performed for five seconds per repetition, with at least 10 repetitions, one to two times per day (Figures 11–13).

The next step involved a palatal sweeping exercise, in which the tongue glides from the anterior palate toward the posterior region. Initially performed without pressure, a controlled lingual force was gradually introduced, ensuring no dental contact during the movement.

Finally, a tongue coupling exercise was incorporated, designed to help the tongue passively conform to the palate’s shape, avoiding anterior or posterior protrusion. This was carried out in two phases: first, through isotonic ‘clicking’ movements, repeated around 20 times; and second, via isometric training, maintaining firm tongue contact against the palate for at least five seconds, also with 20 repetitions (Figure 14). Both exercises were prescribed for at least six days per week over a period of 12-16 weeks.

Six months later, during a follow-up visit, the patient showed significant improvement in occlusion, with partial resolution of the anterior open bite and near-complete correction of the posterior open bite, without

Figs 5–8

Sectional CBCT images showing severe root resorption of the anterior teeth (11, 12, 21, and 22), with less than one-third of root structure remaining in some of them.

Figs 9-10 CBCT slices of teeth 23 and 13, revealing additional root resorption – less severe, but clearly present.

Figs 11–13 Tongue proprioception and palatal sweeping exercises designed to promote optimal tongue positioning during swallowing – key elements in the re-education of open bite cases.

Fig 14 Tongue coupling exercise aimed at adapting the tongue to the palatal contour without projecting beyond the dental arch.

Figs 15-17 Intraoral images after six months of functional re-education and proper tongue positioning, showing resolution of the atypical swallowing habit and reduction of lingual pressure on the anterior and posterior segments.

the need for further orthodontic intervention that could have endangered the already resorbed teeth (Figures 15-17).

discussion

This clinical case clearly illustrates how an orthodontically corrected malocclusion can relapse significantly when underlying functional factors, particularly atypical swallowing associated with tongue thrusting, are not adequately addressed.16,17 Although the initial orthodontic treatment successfully closed the anterior open bite, the lack of intervention targeting the dysfunctional swallowing pattern led to progressive relapse, manifested not only by reopening of the anterior bite but also by the emergence of an incipient posterior open bite.

The literature has shown that persistent tongue thrusting exerts continuous and uncoordinated forces on the anterior teeth, which not only compromises posttreatment stability but may also act as a cofactor in the development of external root resorption (ERR) – especially in patients with a history of orthodontic treatment.7,8,19

In this patient, the onset of mobility and pain in the maxillary incisors, along with the extensive root resorption evident in the radiographic images, highlight the potential cumulative effect of these abnormal forces, even in teeth with no prior signs of periodontal compromise.

While much of the orthodontic literature focuses on mechanical variables such as force magnitude and direction, it is essential to consider the chronic and less controllable impact of untreated orofacial myofunctional habits.6 In this context, atypical swallowing should not be underestimated as a minor functional disturbance but rather recognised as a key factor with the potential to compromise both treatment outcomes and long-term periodontal and root health.

The decision to avoid reintroducing active orthodontic mechanics in this case was both cautious and clinically justified,

given the severity of the root resorption affecting the anterior teeth. Instead, a conservative, functionally oriented approach was adopted through the implementation of orofacial myofunctional therapy (OMT). This strategy not only led to observable clinical improvement in occlusion and tongue positioning, but also helped to protect vulnerable teeth from further stress that could have worsened their condition. As applied in this case, OMT proved to be an effective tool for re-educating tongue posture, normalising swallowing function, and restoring orofacial balance. Through a structured exercise programme, the patient’s muscular behaviour was successfully modified, tongue thrust was reduced, and a spontaneous improvement in the bite was achieved without the need for additional appliances. These outcomes reinforce the importance of incorporating functional and neuromuscular strategies into orthodontic planning, particularly in patients with longstanding compensatory oral patterns. Ultimately, this case emphasises the need for an interdisciplinary approach in orthodontics, one that considers not only dental alignment but also the correction of altered oral functions, which, if left unaddressed, may significantly compromise stability, periodontal health, and long-term prognosis.

Conclusions

The orthodontic relapse observed in this case underscores the importance of comprehensively addressing dysfunctional habits, such as atypical swallowing and tongue thrusting. Myofunctional re-education proved to be a safe and effective alternative in a patient with root compromise, enabling functional improvement while avoiding further orthodontic intervention. Integrating orofacial myofunctional therapy into interdisciplinary management enhances treatment stability and long-term outcomes. n

References available upon request

Same-day dentistry for multi-unit cases

dr Neil Harris presents a six-unit restorative case designed to restore a patient’s smile in one appointment after years of damage from a historical eating disorder.

Patient presentation

A long-time patient of the practice presented looking to improve the appearance and function of her lower dentition. With a history of bulimia and significant wear of the teeth, she had previously received full upper arch rehabilitation and had an implant-retained prosthesis in place. The lower anterior teeth had since deteriorated and been treated periodically over the years with composite to enhance their aesthetics. The patient was now interested in a more robust solution.

assessment and planning

A full assessment was conducted of the current dentition and oral hygiene. Radiographically, no issues were detected and the teeth were periodontally sound. Severe signs of wear were identified and the lower anterior teeth appeared short and uneven. Due to the wear, a lack of guidance for the occlusion was also recorded. Initially, intraoral scans were taken with the 3Shape Trios scanner. A full suite of clinical photographs was also taken and the information was combined to help plan the best shape and size of the lower teeth. The scans were sent for a digitally designed prototype, which mocked up the incisal edge positions of the lower anterior teeth and allowed us to view them on the photographs as a type of smile simulation for the patient to see.

Once the crown designs were approved, a model was 3D printed with the SprintRay Pro 95 so stents could be created with a thermoformer.

treatment

Pioneering same day dentistry, the 3D printing workflow allowed the delivery of fast and efficient patient care in this case. The stents were used to create prototypes of the final restorations in the mouth. Using these, the lower teeth were prepared accordingly, after removing all the current restorations. The teeth were scanned again with the Trios, and six individual restorations were designed using the Sirona inLab software.

During the same appointment, the final restorations were 3D printed in under 10 minutes on the new SprintRay Midas 3D printer, using the SprintRay Ceramic Crown resin in a B1 shade, and fitted in the mouth. In a singular appointment of approximately four hours in total, the patient was taken from a fairly extreme condition to fully restored. This included just over an hour to design, print and glaze the final crowns. The candy coating technique was implemented to finish the crowns. This requires a combination of SprintRay crown resins and GC Optiglaze™ to characterise the restorations for a natural-looking aesthetic.

The crowns were then bonded onto the teeth using a combination of ClearFil SE Bond (Kuraray) and Variolink Esthetic (Ivoclar). These were light cured, following the manufacturer’s instructions.

Outcome

The patient was delighted with the outcome, especially considering that the

drastic difference that was made to their dentition in just one half-day appointment. Aesthetically, the smile looks fantastic compared to the broken-down teeth at the very beginning. From a functional perspective, guidance was re-established and occlusion improved. The patient has since returned for a six-month follow-up, which revealed restorations that look great and have lasted really well.

discussion

The key to this case was the technology involved. The equipment really allowed us to deliver better dentistry to the patient, offering a same-day solution that would not have otherwise been possible to this

standard. The concept has been made possible previously for individual units, or maybe a quadrant, but to be able to achieve the same for multi-unit smile makeovers is a significant advancement.

The SprintRay 3D printers are the best on the market – they are robust and open source for convenience, but provide predictable outcomes for high-quality same-day dentistry.

This is where dentistry is headed now. The described case was the first we completed using this workflow, but it will not be the last. We are already offering same-day crowns and veneers to patients as standard, and have at least one multiunit case scheduled per week for the

coming months. We are able to invite patients in at 9am with broken teeth and low self-esteem, and see them leave by lunchtime with a smile they are proud to show off. It’s highly rewarding work. For more information on the 3D printing solutions available from SprintRay, please visit https://sprintray.com/en-uk/ n

about the author dr Neil Harris is Clinical d irector of HR s d ental Care.

Fig. 1 Pre-op
Fib. 2 Prepared teeth
Fig. 3 Rayware Midas Screen
Fig. 5 2-months post-op
Fig. 4 Adjusted prototypes

Building high-performance teams through coaching

Justin Leigh shares how coaching can transform pressure into performance and create dental teams that truly thrive

With recruitment challenges, rising patient expectations and tighter margins, dental practices today are navigating some of the toughest conditions we’ve seen in years. As a leadership coach working across healthcare, finance and retail, I’ve seen first-hand how these pressures can either stall progress or spark remarkable transformation.

At this year’s Dentistry Show London, I’ll be sharing a coaching-led approach to building high-performance teams. This method isn’t about working harder, it is about working smarter by empowering people, creating clarity, and cultivating a mindset of continuous improvement. This is a model I’ve seen work in dental practices across the UK, and it has never been more relevant than it is right now.

Coaching: a practical shift for modern practice leaders

During my session, I’ll be guiding delegates through four practical pillars that support team performance. These include how to unlock intrinsic motivation, co-create a team contract to clarify expectations and values, shift from directive management to coaching conversations, and apply a simple coaching framework that can be used daily. It’s an interactive session, because this isn’t theory. These are tools that dental leaders can take back to their practice and use immediately. In a fast-paced clinical setting, communication often needs to be brief but meaningful. A coaching approach helps make even short interactions more focused, more empowering, and more effective. For example, using structured questions like ‘what’s working?’ and ‘what’s blocking us?’ in daily or weekly huddles can help

surface problems early and generate solutions from within the team. When a leader responds not with a directive, but with ‘what ideas do you have to solve this?’, they activate ownership and insight across the team. That kind of engagement is key to sustainable performance.

Learning from other sectors

Having worked with leaders in retail, finance and healthcare, I’ve noticed that high-performing organisations often have three habits in common: frequent, focused feedback; real-time coaching; and the use of simple frameworks to support conversations.

In finance, teams often run short postmortems - quick debriefs to analyse what worked and what didn’t. In a dental context, this could mean a twominute reflection after a busy clinic or a complex case. In retail, managers regularly shadow frontline staff to offer feedback on real interactions. Dental leaders can do the same, observing reception handovers or chairside communication, and following up with constructive, coaching-based questions. Frameworks like GROW (Goal, Reality, Options, Will) are used across industries because they’re easy to learn and drive action. Whether you’re having a one-to-one with a new nurse or leading a team meeting, these models help keep conversations focused and forward-looking.

What makes a highperformance dental team?

High performance isn’t just about efficiency or clinical skill - it’s about how people work together. In the practices I’ve coached, high-performing teams share a few defining

A material world

Dental veneers have, since 1930s Hollywood, protected and improved the aesthetic of teeth. But in today’s world of restorative dentistry sits a fierce rivalry in dental veneer material selection: ceramic versus composite. For dental practitioners, a firm understanding of the indications for a ceramic or composite veneer is vital for patient satisfaction, treatment success, and a long-lasting smile.

Packed with porcelain

Patients presenting with discoloured teeth from tetracycline staining or fluorosis, fractured or worn teeth, abnormal tooth morphology or minor malalignment may benefit from a dental veneer. Dating back over 20,000 years, when clay and water were fired together to make figurines and pots, ceramic is a triedand-tested resource that connotes stability. For those looking for a treatment that is longlasting, ceramic may be the more agreeable option as it has a 93.5% 10-year survival rate; composite resin veneers have 52%.

For porcelain, the leading ceramic material for dental veneers, its history is comparably shorter, dating back 2,000 years to Ancient China. Resilient and durable, porcelain achieves a natural aesthetic as a dental veneer material would. In particular, feldspathic porcelain, derived from the naturally occurring

traits. First, there’s shared accountability. Every member of the team understands how their role contributes to the whole patient journey and they take responsibility for the outcomes.

Second, these teams are highly adaptive. They test new approaches in small wayswhether that’s a tweak to the appointment flow or a change in lab turnaround communication - and they measure what works. There’s also a strong culture of recognition. Wins are celebrated, and feedback is frequent and constructive. This creates a cycle of motivation and progress. Importantly, these teams don’t wait to be told what to do. They notice problems, suggest solutions, and act on them. And that only happens when leadership creates the right conditions namely clarity, trust, and psychological safety through coaching.

the right mindset

If I had to pick the single biggest differentiator in high-performing teams, it is mindset. A performance mindset is the belief that skills, outcomes and systems can improve through effort, feedback and reflection. It’s not about being perfect, it is about being open to learning and growth.

In dental teams, this shows up when hygienists ask patients for comfort feedback, or when the front desk experiments with new scripts and reviews the results. It’s about recognising small improvements, e.g. better patient communication or faster follow-up calls and building on them.

Coaching supports this mindset by framing challenges as learning opportunities. Instead of ‘what went wrong?’, we ask, ‘what can we learn?’. Over time, that shift transforms not only performance, but culture.

Don’t miss Justin Leigh’s talk on ‘Creating a high-performance team through coaching’ at Dentistry show London, 10am on 3rd October at e xCel London. For more information and to register for free visit london.dentistryshow.co.uk.

start small, build momentum

For practice owners or managers wondering whether coaching is right for them, my advice is to start small. You don’t need a full-scale programme to see results.

Begin with a 15-minute weekly team checkin. Ask each person what went well and what could be improved. Rotate the facilitator role as this helps everyone build leadership confidence. You can also appoint a coaching champion, someone who can run short, peer-coaching sessions twice a month. Track just one or two simple metrics, maybe staff engagement or patient wait times, and celebrate any improvements. Small wins build belief, and belief builds momentum. At its core, coaching isn’t just a technique - it’s a way of thinking and leading that helps teams thrive under pressure. And in today’s dental landscape, that’s not just helpful, it’s essential. n

About the author Justin Leigh is a leadership coach and founder of Focus4Growth. He works with dental, healthcare and commercial teams to build highperformance cultures.

mineral feldspar, offers many advantages due to its translucency and thinness. This means preparation of the tooth is minimal, as less enamel needs to be removed. With strong stain resistance and a natural aesthetic, a porcelain veneer is built to last – providing a consistent oral hygiene routine is maintained.

Clearing up on composites

In contrast to ceramics, composite veneers are newer and are continuously evolving. Whilst they exhibit lower fracture resistance and more discolouration than ceramics, resin-based composites have emerged as the most used dental material because of their versatility, aesthetics, reasonable cost and clinical performance. Technological development has improved the design of modern materials to facilitate good bonding, leading to excellent results. For patients limited by cost or time, a composite veneer can be placed in one appointment, favouring a minimally invasive approach that requires little preparation. When correctly maintained with diligent daily oral care, composite veneers can achieve a natural look, even in the anterior area.

Communication is key

Regardless of the material selected, communication with the patient is essential

for long-term veneer stability. Explaining the major risk factors – trauma, root canal infection, wear – that can damage the veneer is essential, as is highlighting the role of oral prophylaxis to better lower the risk of disease. For composite veneers, staining is likelier, especially for those who regularly consume drinks like tea or red wine. Clear communication, both in the appointment and afterwards with leaflets or messages, should encourage patients to be compliant and protect the veneer, reducing the risk of recall.

In cases of ceramic veneers, exchanging information with a dental technician is vital for treatment success. The multi-step process, from impression taking to lab fabrication, demands precision so that the final bonding and shade match achieves the desired outcome of the patient. If possible, having the patient and dental technician meet can ensure the best possible final result, and the dental practitioner plays an imperative role in setting this up.

Weigh in on the debate

Material choice is at the forefront of the BACD Annual Conference 2025 – it’s theme is the ‘Ceramic v Composite Showdown.’ Bringing together a fantastic line-up of international dental speakers, the event will feature

an unmissable timetable of lectures and workshops. From investigating the benefits and challenges of ceramic and composite materials to familiarising dental professionals with the latest technologies and techniques that can improve the daily workflow, the BACD Annual Conference 2025 represents the gold standard in networking opportunities for cosmetic dentists.

As the debate around ceramic and composite veneers continues, ensuring that both dental professional and patient alike are aware of and in agreement on the indications and contraindications of material selections is vital. Whatever the veneer material selection, encouraging consistent oral hygiene to look after the final restoration is key for the long-term satisfaction with the smile.

BACD 21st Annual Conference 6-8 november 2025 the Lowry Arts Centre, salford Quays, Manchester Pre-sale tickets available at bacd.com n

About the author sam Jethwa, President of the British Association of Cosmetic Dentistry.

Bis-GMA-free formulation: for better biocompatibility

Easy stocking: only 1 shade for economic sustainability

Structural shade without artificial colour pigments: adapts seamlessly to any tooth shade from A1 to D4

Samples & More

The Dental Awards Winners’ Presentation

On Friday 27th June, the winners of the 2025 Dental Awards gathered in London to receive their trophies and celebrate their victories along with members of the judging panel and sponsors

Following the virtual presentation that streamed in May on The Probe website and Youtube channel, the winners of the 2025 Dental Awards were invited to a celebratory awards lunch to be presented with their trophies in person. The terrace of Doggett’s Coat and Badge, overlooking Blackfriars

Bridge, set the scene perfectly. The weather was kind, the sun shining down as the best in British dentistry celebrated in style while overlooking the Thames.

After guests were greeted with a champagne reception, Dr Nigel Carter OBE, Chief Executive of the Oral Health Foundation, kicked off the

proceedings with a warm welcome, and James Cooke, Editor of The Probe, presented the winners with their trophies.

As the plates were cleared and the dust settled, guests were treated to a performance from a renowned magician, who had been circling the room, executing close-up

magic to the delight of all. His big performance for the entire room capped of the event by leaving jaws firmly on the ground.

Stay tuned in the coming weeks for details on how to enter the 2026 Dental Awards, and you too could find yourself celebrating next year! 

Dental Awards 2025 Winners

National Smile Month Award

Best Outreach or Charity Initiative

NHS Ayrshire & Arran Oral Health Improvement Team1

Edinburgh Community Food and LINKnet Mentoring2

Website and Digital Campaign of the Year

ODL Dental Clinic3

Front of House

Claire Smith, Community Dental Services CIC (CDS)4

Dental Therapist of the Year

Emily Banks, University Dental Hospital, Cardiff5

Dental Hygienist of the Year

Natalie Fitzpatrick, Bridge Dental Care6

Dental Nurse of the Year

Mihaela Marian, Ten Dental + Facial7

Practice Manager of the Year

Nicola Bushell, Community Dental Services CIC Essex8

Young Dentist of the Year

Simran Bains, Rock Dental Practice9

Dentist of the Year

Dr Martina Hodgson, The Dental Architect10

Dental Team of the Year

ODL Dental Clinic, London3

Practice of the Year

ODL Dental Clinic, London3

Education at the heart of the BES

Education is a key part of the British Endodontic Society’s (BES) mission to support its members and further the nation’s dental health. Endodontology requires discipline, precision, and patience, in addition to continuing education throughout a career in order to stay up-to-date with cuttingedge techniques and ensure the best outcomes for patients. Various clinical approaches aim to prevent or delay the restorative cycle and are becoming better understood in the field, such as vital pulp treatments (minimally invasive options for endodontic treatment) and endodontic re-treatment (which gives the patient the chance to keep their tooth for longer).

The BES understands the value of education in these subject areas, amongst many others, which is why it offers many opportunities every year for delegates to attend study clubs, workshops, masterclasses, meetings, and even webinars to expand their knowledge and learn new skills.

Vital pulp therapy

In the presidential year of Dr Phil Tomson, one of the major themes being explored by the BES is vital pulp therapy (VPT). This type of treatment has gained prominence in recent years thanks to an improved understanding of the benefits minimally invasive techniques afford patients.

Phil has shared his aims regarding this, and why it is of particular importance for him: “My main focus for the coming year is a campaign around vital pulp therapy. I think this will be the next major development in what we do in endodontics. I feel that vital pulp therapy has been pushed to the side and, until now, has not been widely recognised as a predictable treatment. However, there is a building clinical evidence base which suggests it can be predictable in a number of different presentations. We have been discussing the treatment approach in the endodontic community for some time now, and my aim is to raise awareness of vital pulp therapy amongst GDPs and change the culture of how a vital pulp is managed. In reality, it is GDPs who treat the most endodontic cases, so extending education and awareness in these circles will enable us to have the biggest impact. This is a project that is close to my heart as it relates to my own original research in pulp biology.”

Expanding knowledge of alternative endodontic treatment types to traditional root canal treatment amongst GDPs expands the offerings that will inevitably become available to patients in the coming years. The BES successfully launched its

Achieving the flow state

Have you ever watched a master at work, simultaneously exercising total focus and painstaking precision, while making rapid decisions that appear to come easily? This phenomenon has been described as a flow state, in which there is a harmonious fusion between action and consciousness.

Experienced by artists, musicians, writers and athletes when fully immersed in creative activity, flow is also a goal of practitioners in the clinical setting. During procedures that require a high level of practical acuity as well as a deep understanding of the task at hand, highly skilled clinicians are better equipped to work calmly and confidently when they are totally focused and engaged, in addition to being fully conversant in all the necessary skills required.

What is the flow state?

Those in a state of optimal experience, as it is also known, appear to have almost automatic control over their actions. They have high-focus and clear goals, which they easily and fluently monitor and adjust. They are fully alert and able to discount non-relevant stimuli. They lose self-consciousness as they immerse themselves fully into their chosen activity. When in this mental state, time seems to pass more quickly, and there is a great sense of pleasure and reward.

The term, coined in the 1970s by Hungarian psychologist Mihály Csikszentmihalyi, describes the sensation as one that occurs when challenges and skills are in fine

inaugural Early Career Group Masterclass on this topic, highlighting the importance of learning these skills in the early stages of a dentist’s endodontic experience.

endodontic retreatment

Endodontic retreatment is another area where increased education is essential. It is a complex procedure which requires advanced training that can lead to fewer extractions when performed successfully, and which many with an interest in endodontics would like to improve their skills in. As such, the BES centred its first hands-on workshop around this very topic, aiming to improve the clinical skills of delegates through exploring decisionmaking and practical challenges associated specifically with endodontic retreatment.

a varied education

Additionally, the BES is now offering a webinar series in order to broaden the educational opportunities for members.

Phil said “This is part of our aim to increase the resources available to members, and to draw in those who are interested in endodontics and are keen to learn more. This is a really exciting initiative, and one which I hope will have a big impact on the field.” These sessions are presented by experts in the field, and create an accessible environment for clinicians to learn. In order to expand your education in endodontology, clinicians with an interest in the field or who have been providing endodontic treatment for many years will benefit from a membership with the BES. Through multiple channels, the BES aims to offer its members a high quality of educational resources, in addition to numerous in person events throughout the year to encourage learning and networking. For more information about the BES, or to join, please visit the website www. britishendodonticsociety.org.uk or call 07762945847 n

balance, and everything seems to fall into place. He describes flow as a state that can be experienced in the narrow mental state between boredom and anxiety.

the neuroscience and psychology of flow

The neurocognitive processes involved in achieving a flow state have been studied extensively. Using functional magnetic resonance imaging (fMRI) to understand brain activity during a flow state, researchers found that dorsolateral prefrontal areas were quite active while the frontal lobes were less so. This indicates that selfreflective thinking was low, and that much of the behavioural regulation involved in optimal experience was automatic.

A key aspect of achieving a flow state is the alignment between an individual’s abilities and the difficulty of a task. Tasks that are too easy can lead to boredom, while those that are beyond capabilities may result in frustration, stress, or disinterest, all of which hinder the flow experience. The balance of these aspects of brain function during a flow state suggests a potential involvement of the brain’s locus coeruleusnorepinephrine (LC-NE) system.

Norepinephrine (NE), one of the four primary neuromodulators, influences nearly all cortical and subcortical regions. Neurons in the locus coeruleus (LC) release NE to regulate baseline arousal and support various sensory-motor and behavioural functions. This small brainstem nucleus is crucial for managing arousal, alertness, attention, stress

responses, emotional memory, and cognitive functions throughout the brain. This means that the brain is operating in fluid harmony between automatic, emotional and intellectual processing functions while in flow.

Csikszentmihalyi explored the psychological benefits to individuals of deeply engaging in enjoyable experiences, like playing chess, rock-climbing, playing a sport or dancing. Not only do individuals achieve a sense of creative accomplishment and heightened functioning, achieving this state can improve emotional and mental balance, wellbeing and creativity. Those who are able to achieve a flow state may demonstrate improved attention across all tasks and interactions.

the clinical advantages of achieving a flow state

Some research with microsurgeons has shown that clinicians may benefit from the explicit recognition of flow states and the application of strategies that foster and balance flow within a surgical procedure. Techniques such as visualisation, mindfulness practices, and attention training are tools that may potentially enhance flow experiences, reduce stress, improve performance, and work to prevent burnout.

Achieving total focus, calm, mental clarity and mastery during complex surgical procedures requires a good educational grounding. Clinicians require intimate knowledge of anatomy, and all possible complications. Training and preparation is needed to find the sweet spot where skills

are fully utilised, and abilities are honed to complete a stimulating task with quiet confidence and full engagement.

A prime example is the Hands-On Training: Zygomatic, Nazalus, Trans-Sinus & Pterygoid Implants With Z.M.I.T. Zygomatic Minimally Invasive Technique at the ICE Postgraduate Dental Institute and Hospital. The course is led by renowned specialist oral surgeon, Professor Cemal Ucer. The course has been structured for those wishing to introduce zygomatic implants into their practice, learning techniques to minimise the risk of damage occurring to vital anatomical structures such as the orbit, pterygoid and infratemporal fossa and the surrounding blood vessels and nerves.

Achieving advanced practical and mental skills is an important part of developing the mastery needed to fully experience a flow state. Those wishing to develop their practice as implantologists or oral surgeons can do so by pursuing high-quality educational experiences that focus on honing all the skills and senses involved in the practice.

Please contact Professor Ucer at ucer@icedental.institute or Mel Hay at mel@mdic.co

01612 371842

www.ucer-clinic.dental n

about the author Prof. cemal ucer, BdS, MSc, Phd, FdtFed., iti Fellow, Specialist oral Surgeon.

But your recommendation can make a big difference.

7 dental imaging software now available

With built-in AI-powered features available as standard, Planmeca Romexis® version 7 takes dental imaging up a notch. Including AI-powered 3D imaging tools that provide an excellent visual representation of the case for patient education, and CBCT images and intraoral scans that automatically fit together with the help of AI. Routine tasks are automated which means less time spent on the computer and more time with patients.

Romexis 7 revolutionises implant planning with a fully automated workflow that provides plan proposals with minimal user input in as little as 9 seconds. Implant guide design becomes easier and faster too.

Plastic Free Wipes

V-WIPE Zero ECO-XL are more than just wipes – they are a commitment to highperformance infection control alongside environmental responsibility.

The area for the surgical guide is automatically identified and defined, generating a guide outline that users can easily refine. And if all that’s not enough, a virtual assistant is available to answer questions and provide step-by-step instructions.

Contact Planmeca for a demonstration, 0800 5200 330. n

Wipes are constructed from sustainable and renewable viscose, a regenerated cellulose that comes from trees. The natural viscose fibres are hydro entangled by water jet systems so no need for any added chemicals. The result is a much cleaner process compared to alternative methods for creating “traditional” synthetic, plastic based wipes. The modern alcohol-free formulation makes ECO-XL wipes safe to use around staff and patients, creating a healthier space for everyone. Ideal to use on most wipeable surfaces around the surgery, including dental chairs.

V-WIPE ZERO ECO-XL wipes are available now. For more information call 0800 132 373 or visit the website. n

A comprehensive suite of solutions

BioHorizons Camlog offers so much more than premium, leading implants. Its comprehensive suite of solutions also includes a diverse biomaterials portfolio designed to optimise outcomes in a broad range of implant cases.

A selection of evidence-based allograft and xenograft materials are available to facilitate effective bone augmentation, including the popular MinerOss Blend and MinerOss X solutions. For soft tissue management, NovoMatrix is an acellular dermal matrix of tissue- engineered porcine materials designed to promote xenogeneic processing.

The portfolio is supported by an array of allograft, xenograft and synthetic membranes

to meet all indications, in addition to wound dressing options for elevated treatment outcomes.

To enhance your implant treatments and support patient-centred care, discover the evidence-based biomaterials -— trusted by clinicians worldwide - from BioHorizons Camlog today.

For more details, please visit theimplanthub.com/biomaterials/ n

theimplanthub.com/biomaterials/

optimise your diagnostic capabilities

Decrease the time to diagnosis and accurate treatment by selecting the right intraoral imaging systems for your practice.

With 50 years of experience working with dental professionals, Clark Dental is able to offer tailored support to meet your needs. The Dentsply Sirona Xios AE Supreme provides excellent image quality and the ability to view your images instantly, with multiple options available to optimise your diagnostic workflows.

Tested to withstand years of regular day to day use, the Xios AE Supreme is durable, ensuring the best return on your investment.

To discover the full range of dental

solutions, get in touch with the Clark Dental team and visit the website today. For more information call Clark Dental on 01268 733 146, email info@clarkdental. co.uk or visit www.clarkdental.co.ukn

the future of dentistry is 3d printed

3D printing is revolutionising dentistry. With the one-of-a-kind digital ecosystem of technologies from SprintRay, dental practices can significantly enhance both their professional workflows and their patient care.

As the only provider of a comprehensive digital portfolio for dental 3D printing workflows, SprintRay offers various equipment and materials designed to optimise accuracy, speed and efficiency. Easy to use and implement, with open source systems and intuitive interfaces, simple handling and broad applications, the digital ecosystem is appropriate for practice

teams of any size, clinical interest and experience. All SprintRay solutions are also maintained by extensive technical support services to help practices maximise on the advantages available. 3D printing is the future. Don’t risk getting stuck in the past – find out more today! For more information, please visit https://sprintray.com/en-uk/n

raise your implant game

Events are a core component of the Association of Dental Implantology (ADI), bringing like-minded dental professionals together to hone their skills, sharpen their knowledge and brandish their research.

For ADI members, discounted delegate rates are available for events such as ADI Masterclasses, in which renowned speakers showcase cutting-edge technologies and techniques to enhance the success of a dental implant.

Other discounted events include the ADI Focus Meetings, where specific areas within dental implantology are delved into for a comprehensive understanding, and the biennial ADI Team Congress, which gathers leading dental implantologists

unbeatable trio

from across the world to deliver lectures and workshops amidst an extensive trade show and unmissable social occasions.

Take advantage of the great delegate discount rates and raise your implant game as a member of the ADI today. For more information about the ADI, visit www.adi.org.uk

Join today n

• BeautiBond Xtreme: All-in-one universal adhesive with high bond strength, suitable for all etching techniques.

• BEAUTIFIL Flow Plus-X: Versatile, fluoride-releasing hybrid composite in 2 viscosities, perfect for Class I-V restorations.

• Super-Snap X-Treme Polishers: Achieve a flawless finish with our enhanced polishing disks for ultimate patient comfort.n

Waste containers for every clinical need

Keeping the dental practice prepared for the clinical waste it produces is vital; Initial Medical provides a range of effective solutions, including eco-friendly clinical waste bags.

Made from 30% recycled plastic, the clinical waste bags follow the Initial Medical ethos of striving for more sustainable solutions in healthcare. Each bag, which is colour-coded in line with Health Technical Memorandum 07-01, is also made to be tear and impact resistant. This protects clinicians and patients, as well as the waste disposal service practitioners later in the workflow. The clinical waste bags are compliant with the Carriage of Dangerous Goods regulations, and are tested in UKAS approved laboratories.

Learn more about the ways Initial Medical helps dental practices prepare for clinical waste creation by contacting the team today.

To find out more, get in touch at 0808 304 7411 or visit the website today www.initial.co.uk/medical n

shofu.co.uk

www.the-probe.co.uk

closer to your patients

Choose improved connections to your patients with Sensei Cloud, from the practice and patient management brand of Carestream Dental for easier, smarter, more secure and more convenient care.

The cloud-based practice software is an improvement upon on-premise solutions due to its flexibility, reliability and security. When you use the cloud, you don’t need to worry about maintaining systems, as updates or back-ups are handled remotely and automatically—so they don’t disrupt your workday. Instead, you can focus on exceptional patient care.

With the addition of Patient Bridge, a Sensei product, and its recent Patient Portal upgrade, dental professionals can issue appointment reminders and recall messages

with ease, whilst also allowing patients to book appointments online.

Important forms can be completed and signed online, including medical history, treatment plans, screening, consent and FP17.

With a modern approach to patient contact, and an intuitive cloud-based system, your practice can reach new heights.

For more information on Sensei Cloud visit gosensei.co.uk/ For the latest news and updates, follow us on Facebook and Instagram @carestreamdental.ukn

the stand-out flowable bulk-filling material

BRILLIANT Bulk Fill Flow from COLTENE is a flowable filling material based on the same submicron hybrid composite technology as BRILLIANT EverGlow and BRILLIANT EverGlow Flow, making it the perfect partner.

BRILLIANT Bulk Fill Flow stands out for its speed, reliability, durability and convenience. It needs no liner or covering layer, is quick and simple to use, and is available in MultiShade, which adapts to a wide range of tooth shades, making it easy to blend.

Increments of up to 4 mm thickness are reliably cured in 20 seconds, making Bulk Fill Flow exceptionally simple to use. Indicated as a filling material for all cavity classes, it features stable material characteristics, from flexural strength to low shrinkage and depth of polymerisation.

BRILLIANT Bulk Fill Flow is the proven composite of choice for longevity. When tested against other flowable bulk-fill products according to ISO 14569 (method: University of Freiburg), Bulk Fill Flow exhibits the lowest abrasion-related material loss. Visit the website to find out more today! For more information, visit https://colteneuk.com/BRILLIANT_Bulk_Fill_Flow email info.uk@coltene.com or call: 0800 254 5115. n

colteneuk.com/BrILLIANt_Bulk_Fill_Flow

support from start to finish

Are you looking to re-design your dental practice? Don’t know where to start?

Contact the team at Clark Dental!

With over 50 years of experience working with dental professionals to achieve their dental practice goals, Clark Dental is best placed to support you in your practice design journey.

The Clark Dental team is able to guide you through every aspect of practice design. Clark Dental will:

• Visit the site, discuss requirements, and measure the space.

• Work with builders throughout the project.

• Design 3D renders, enabling you to visualise the outcome.

• Produce drawings for builders to follow.

• Carry out full site installation as soon as equipment is available.

Never too old to learn

Dental practitioners don’t just fix a patient’s problems – they educate them to prevent issues from happening in the first place. Knowing how to best show correct oral prophylaxis practices is made easier by the iTOP programme from Curaden. Available at four levels – Introductory, Advanced, Recall, Educator – iTOP helps dental practitioners to master their oral hygiene advice with the best tools and techniques, providing the skills and teaching approaches needed for them to successfully support their patients.

A key component of the courses is Touch To Teach, where attendees practically teach one another as if they are demonstrating to the patient. Through understanding both the theory and the optimal manual techniques, Touch To Teach ensures that excellent oral

For more information about practice design services, please visit the Clark Dental website and contact the team.

For more information call Clark Dental on 01268 733 146, email info@clarkdental. co.uk or visit www.clarkdental.co.uk n

hygiene practice is never forgotten. Sign up for an iTOP seminar today and help your patients achieve the gold standard in biofilm management, preventing oral disease and encouraging a healthier, happier life.

To arrange a Practice Educational Meeting with your Curaden Development Manager please email us on sales@curaden.co.uk

For more information, please visit www.curaprox.co.uk and www.curaden.co.ukn

dental Elite Goodwill report Podcast out now Actions speak louder than words

The latest Goodwill Report from Dental Elite provides an up-to-the-minute overview of the dental practice sales market. With useful insights for anyone looking to buy or sell a practice in the near future, Luke Moore – Co-founder of Dental Elite –summarises the key findings in a succinct podcast, available now!

In the session, Luke explores the factors driving the increased volume of transactions for the 2024/25 financial year, compared to the previous 12 months. He also discusses why nearly 70% of sales are to independent buyers, who continue to dominate the market and drive demand for entry-level opportunities.

If you will be selling in the future, you may also be interested to hear more about the latest practice prices achieved, as well as some of the factors that you can control to optimise your valuation.

To listen to or watch the full podcast, please visit the Probe Podcast website. https://the-probe.co.uk/podcasts/

For more information on Dental Elite visit www.dentalelite.co.uk, email info@dentalelite.co.uk or call: 01788 545 900n

supporting parents and carers with their children’s oral hygiene

TANDEX provides a comprehensive range of products designed to support parents and carers in the everyday care of their children’s oral health.

CLASSIC 03 BABY, 04 KIDS and 09 JUNIOR toothbrushes for children are soft and kind to children’s developing gingiva and enamel. The CLASSIC 03 BABY has been specifically designed for babies and toddlers up to the age of 3. 04 KIDS is perfectly suited for children aged 4-7. Both of these toothbrushes are designed with a long handle to make it easy for adults to support children in brushing.

The CLASSIC 09 JUNIOR is designed with a broader handle to help older children achieve the ideal grip to brush well independently. The brush head is positioned so children are naturally

prompted to rotate the brush rather than use a back-and-forth motion, helping to achieve a better clean.

The whole range of children’s toothbrushes come in bright, assorted colours, and are the perfect tool for parents and carers to teach children how to keep their mouths clean every day. Visit the website today to find out more!

For more information on Tandex’s range of products, visit https://tandex.dk/ Our products are also available from DHB Oral Healthcare https://dhb.co.uk/n

At Clyde Munro, we believe actions speak louder than words. That’s why we back up our values and ethos with tangible resources, opportunities and products for our practice teams to benefit from.

We say that we support our dentists, so we offer a dedicated Clinical Support Team who can be contacted for advice and guidance on challenging cases. We say we are digitally-minded, so we provide a range of digital technologies and cutting-edge software across our practices for our dentists to use.

We say we promote career progression, so we offer year-long training programmes designed specifically for early career dentists and dental therapists. There is also a purpose-built Advanced Dentistry & Clinical Skills Centre providing a broad range of post-graduate education in various topics

from tooth wear management to endodontics, oral surgery and so much more.

At Clyde Munro, we make sure our actions support our words. To discover the latest opportunities for you to develop with our forwardthinking team, visit the website today. To find out more about the career development opportunities available at Clyde Munro, please visit https://careers.clydemunrodental.com/.n

careers.clydemunrodental.com

change the way you work

For long-term aesthetics and function, manage cases with insights gathered from Align, Bleach and Bond, the course from IAS Academy.

Split into two days, clinicians learn about the effective and safe use of clear aligners, before delving into ortho-restorative principles, engaging with aesthetic tooth shaping, simple edge bonding, and more in theory-based and hands-on sessions. Support is provided at every step, and clinicians can also engage with an online mentoring system, where they can request guidance from expert IAS Academy tutors at any moment.

Dental professionals will find the course coming to Manchester, Surrey

and Edinburgh through the next year, and can secure a place that helps them advance their restorative dental care.

Find out more about the Align, Bleach and Bond course by contacting the IAS Academy team today.

For more information on upcoming IAS Academy training courses, please visit www.iasortho.com or call 01932 336470 (Press 1) n

simple intraoral insights

The compact CS 7200 Neo Edition from Carestream Dental packs a punch, with versatility, quality and simplicity rolled into one small imaging plate system.

Ideal for everyday needs, the CS 7200 Neo Edition creates high-resolution images that can support a wide array of diagnostic needs. The system is built on ease-of-use, with clinicians needing to only insert an imaging plate, scan it and diagnose any issues from the image. After each reading, a plate is automatically erased and ready for reuse –and more patients can be supported!

The CS 7200 Neo Edition is perfect for multi-clinician practices, with its intelligent plate identification system meaning dentists don’t need to wait to process images in any correct

Attracting top talent

Dental Elite’s experienced specialist dental recruitment team have decades of experience between them in getting the right talent in place for all the roles required by dental practices.

Not only do they have access to a wide pool of brilliant candidates, including associate dentists, dental hygienists and therapists, dental nurses and locums, they can advise your practice on how to ensure you have everything in place to be the most appealing employer you can be.

Dental Elite’s team of professionals can offer advice on attracting, selecting and retaining top talent. They can help you develop a team

order. Instead, the system recognises the images on the plates, sending them to the appropriate computer and patient file, without any risk of mix ups.

Learn more about simplicity in your dental imaging workflows by contacting the Carestream Dental team today.

For more information on Carestream Dental visit www.carestreamdental.co.uk

For the latest news and updates, follow us on Facebook and Instagram @carestreamdental.ukn

culture that makes the best candidates want to work with you, advise you on how your selection process can be optimised, and how you can offer growth and development opportunities to ensure you retain the best team members.

Contact the team today to find out more!

For more information on Dental Elite visit dentalelite.co.uk, email info@dentalelite.co.uk or call 01788 545 900 n

Add value to your practice with Eschmann

When you invest in industry-leading washer disinfectors from Eschmann, you instantly add value to your practice. Not only does the equipment elevate compliance and safety standards for patients and staff, but it also streamlines the professional decontamination workflow for increased efficiency and productivity.

Benchtop and underbench washer disinfectors are available, with different capacities, so there is something to suit every practice’s needs. Efficient heavy-duty cleaning, disinfection and drying are provided in less than an hour, with the KIWA KUKreg 4-approved (equivalent to WRAS) equipment featuring userfriendly interfaces and easy-to-read displays. Plus, to optimise product life, the Eschmann Care & Cover package provides servicing

and maintenance by specificallytrained engineers who are available across the UK.

This also includes validation, unlimited breakdown cover, unlimited Eschmann parts and labour, and Enhanced CPD user training.

To find out more about how the Eschmann washer disinfectors could add value to your practice, contact the team today.

For more information on the highly effective and affordable range of infection control products from Eschmann, please visit www.eschmann.co.uk or call 01903 753322n

An easy recommendation

Orthodontic appliances can trap food particles on the teeth, accumulating bacteria and leading to demineralisation of the tooth enamel.

Chrystal Sharp, a private orthodontic therapist based in London, is an ambassador for Curaprox and its extensive array of first-class oral hygiene products. She details how the Aligner Foam from Curaprox can elevate the quality of oral care for orthodontic patients:

“The Aligner Foam is an ideal solution to combat demineralisation caused by food particles and bacteria trapped within an aligner. The Aligner Foam’s carefully selected ingredients includes hydroxyapatite, which remineralises the enamel, and hyaluronic acid, which closes openings within the enamel for sensitivity relief whilst also preventing moisture loss, keeping the teeth fresh and hydrated.

“Easily applied to either the orthodontic appliance or directly into the mouth, the foam creates a protective film for the teeth, harnessing antibacterial, antioxidant and anti-inflammatory properties for a healthier oral cavity. With Curaprox products like the Aligner Foam, orthodontic patients can reduce the risk of demineralisation and keep their teeth refreshed – it’s an essential product to compliment any orthodontic journey.”

To arrange a Practice Educational Meeting with your Curaden Development Manager please email us on sales@curaden.co.uk

For more information, please visit curaprox.co.uk and www.curaden.co.uk n

A highly recommended endodontic referral centre

At EndoCare, we’re proud to be highly recommended by both patients and professionals.

We make it our mission to deliver the very best experience for every patient you refer to us, working with you to plan and execute exceptional endodontic solutions.

But you don’t just have to take our word for it. Here’s what a referred patient recently said about their experience with EndoCare, leaving a 5-star review:

“I was recommended to Dr Michael Sultan by my own dentist for a revision of a previous root canal treatment. Very professional and relaxed and I was kept informed of his progress. No pain or after affects. I have a follow-up appointment after a week. Meantime his practice checked on

Benefits of benzocaine

Help your patients harness the power of benzocaine at home – recommend Orajel™ Dental Gel.

The pain relief gel contains 10% benzocaine, a powerful local anaesthetic that temporarily blocks the pathway of pain signals along the nerves. It relieves pain by numbing the area in less than two minutes. Orajel™ Dental Gel can be easily applied directly to the painful area, helping patients eliminate pain where and when it’s needed most – able to be applied up to four times a day for continued relief.

Dental professionals can also recommend Orajel™ Extra Strength which contains 20% benzocaine, the maximum concentration

me twice by an app to ensure my progress was good. Very professional and I would certainly have no hesitation to recommend him.”

See for yourself why EndoCare is so highly recommended for endodontic referrals. The referral process is quick and easy – get started on the website today. For further information about the endodontic referral services available from EndoCare, please call 020 7224 0999 or visit www.endocare.co.uk n

available over-the-counter and Orajel’s fastest, strongest treatment for toothache. Find out more by getting in touch with the Orajel™ team today.

For essential information, and to see the full range of Orajel products, please visit https://www.orajelhcp.co.uk/ n

To introduce or upgrade your existing 3D printing solutions, you want to work with the best in the business. Work with SprintRay. As your everyday digital partner, SprintRay will help you push the boundaries of what’s possible for your patients. The innovative new Midas 3D printer is an excellent example of this, extending SprintRay’s digital ecosystem of technologies that are reimagining the restorative workflow.

Delivering chairside crowns in less than 45 minutes from start to finish, it achieves previously unknown speed and efficiency. The unique Digital Press Stereolithography allows the use of resins with higher viscosity for increased flexibility. It also utilises AI-powered

software to streamline communication with design systems for an even smoother workflow.

The Midas is setting new standards in chairside 3D printing. Contact SprintRay to see how you too could operate at the cutting-edge of the profession.

For more information, please visit https://sprintray.com/en-uk/n

IndepenDent Care Plans (ICP) will help you increase accessibility, efficiency and affordability of dental care for all.

The Business Development Consultants will evaluate your business and plan needs before delivering fully customised and practicebranded solutions that you and your patients can maximise on. With decades of combined experience, they understand the challenges that practices face and the concerns that patients have, addressing both with tailored dental plan packages.

You can also expect exceptional customer service throughout. Big enough to offer comprehensive support but small enough to do so with a personal touch, ICP will be with

you every step of the way. Contact the team today to see how the right dental plan could make dental care more accessible to more patients! For more information and to book a no-obligation consultation, please visit ident/co.uk or call 01463 222 999 n

www.the-probe.co.uk

speed with no compromise in quality

Can you 3D print crowns in just 10 minutes for a total restorative treatment time of only 45 minutes? If not, then you need the Midas from SprintRay.

Not only is it the world’s first digital restoration press, but it’s also designed to deliver highly predictable and accurate manufacturing processes for a range of indications. In addition, it’s fast and efficient for a smooth professional workflow, which is further enhanced with the availability of specially-optimised 3D printing resins.

The Midas is just one part of the comprehensive ecosystem of digital solutions from SprintRay, which also

constitutes the popular Pro 2 3D printer and worldclass restorative materials like Ceramic Crown or OnX Tough 2. Give your patients fast restorative workflows that don’t compromise on quality with SprintRay. Find out more today! For more information,please visit https://sprintray.com/en-uk/n

A pathway to implant dentistry

Start your implant dentistry career with confidence, and choose the PG Diploma in Implant Dentistry from One to One Implant Education.

The course is designed to equip you with the clinical knowledge and practical skills to support a wide range of dental implant cases. World-class speakers deliver evidence-backed insights on implant placement and loading, guided bone regeneration, full arch implant dentistry, and more.

With an understanding of every step from treatment planning to the management of complications, or maintaining successful restorations, clinicians are prepared for confident clinical care.

A soft touch

Sensitivity caused by periodontal disease, hormonal changes and overbrushing can make normal interdental cleaning uncomfortable – or even painful. For your patients experiencing sensitive gingiva, recommend UltraSoft Flexi interdental brushes from TANDEX. UltraSoft Flexi come in 4 different sizes, and can be shaped and reshaped, helping patients perform easy and comfortable oral hygiene in all the hard-to-reach areas of their mouth.

A small addition of PreventGel from TANDEX provides strengthening and antimicrobial properties, to help keep the mouth extra clean. PreventGel contains 900 ppm fluoride and 0.12%

Pack to the future

An effective interdental brush can help in a variety of areas, from implant maintenance, to braces care and removing plaque. With the CPS Prime Start range from Curaprox, patients can meet the future standards of healthcare today.

Available in five sizes, each a different colour, a CPS Prime Start pack contains five interdental brushes, an ergonomic holder, and a longerhandled holder which is ideal for orthodontic patients. For patients needing multiple sizes, the Prime Start Mixed Set has one brush of each size, guaranteeing a solution for every interdental space.

Using an eco-friendly click system, any Curaprox interdental brush will fit any holder, promoting the continued use of a patient’s favourite holder and reducing waste. Each interdental brush features ultrafine bristles that

“I couldn’t be happier” Fazeela Khan-osborne and deNovo

Dr Fazeela Khan-Osborne recently sold her practice to DeNovo Dental Partners. DeNovo, a new entrant into the market, offers an innovative, shared ownership model that allows principals to retain practice autonomy while releasing the full value of their businesses upfront, with multiple ongoing wealth generation opportunities available.

Fazeela comments:

“We philosophically aligned with DeNovo, with the same ethos regarding the team, patient care and how we run the practice. They were keen to take a supportive yet hands-off approach, and were interested in growing the practice with us, to help move it in the direction we felt was right.

“DeNovo are the only buyers in dentistry that actively encourage you to grow. They are also

The course is led by One to One Implant Education founder Dr Fazeela KhanOsborne and Dr Nikolas Vourakis, who each provide unmatched advice that helps clinicians excel.

Learn more and secure your place in the next cohort by contacting the One to One Implant Education team today.

To reserve your place or to find out more, please visit 121implanteducation.co.uk or call 020 7486 0000.n

In last year’s Autumn Budget, the Chancellor announced tax increases, prompting dentists to prioritise their practice sales ahead of the April 2025 hike.

During this period, Lily Head Dental Practice Sales oversaw 29 practice sales in four weeks, saving our clients around £900,000.

With more increases set for April 2026, now is the time for motivated practice owners to take action.

Our most successful clients during this period displayed these qualities:

• Urgency: every day counts to have the best chance of avoiding tax increases

• Loss aversion: realise how important an opportunity this really is

• Composure: calmness under pressure is key

very flexible in whether you work clinically or shift towards a more management-focused role post-transition.

“In my opinion, they have the best offering in the marketplace. It you want to continue learning and growing, DeNovo provides an exciting next step in your career, taken with an enthusiastic team who are motivated but not pushy. There’s no one else like them and I couldn’t be happier.” Find out if DeNovo is right for your practice’s future by visiting www.denovo.partners today n

The Lily Head Dental Practice Sales team has decades of experience in helping clients identify not just the highest bidder, but the ideal buyer for their practice.

The best day to act was yesterday. The next best day is today.

Get in touch today on + 44 (0) 333 772 0654 or email dentalbrokers@lilyhead.co.uk. n

strength in your first steps

chlorhexidine, and is non-abrasive and pleasant tasting for extra appeal.

Help your sensitive patients with their oral hygiene by recommending UltraSoft Flexi interdental brushes and PreventGel today!

For more information on Tandex’s range of products, visit https://tandex.dk/

Our products are also available from DHB Oral Healthcare https://dhb.co.uk/n

So, you want to develop your practice’s in-house imaging capabilities, but don’t know where to start – enter the CS 8200 3D Access from Carestream Dental.

The versatile system blends panoramic technology, CBCT imaging, 3D model scanning and cephalometric imaging into one simple to use solution. It has been optimised with a user-friendly interface to ensure clinicians with minimal experience still feel comfortable attaining exceptional imagery.

Dental professionals can select between six fields of view, including full arch scanning, to cover virtually any clinical need. This not only ensures that all aspects of the dentition can be captured, but minimises the need for unnecessary doses when treating a smaller site.

The CS 8200 3D Access is a compact unit, with the ability to fit into tight spaces making it ideal for practices of any size. It is also completely adjustable for patients, whether they need to stand or sit during an examination. Find out more about accessible dental imaging by contacting the team today. For more information on Carestream Dental visit www.carestreamdental.co.uk For the latest news and updates, follow us on Facebook and Instagram @carestreamdental.ukn

employ an umbrella effect, removing trapped food particles and protecting the teeth and gingivae from disease.

Curaprox is committed to providing high quality products that revolutionise oral self-care. With their range of interdental brushes, patients can experience these first-hand.

To arrange a Practice Educational Meeting with your Curaden Development Manager please email us on sales@curaden.co.uk

For more information, please visit www.curaprox.co.uk and www.curaden.co.uk n

curaprox.co.uk

Hands-on with tissue augmentation

Hard and soft tissue augmentation has become a key skill for dental implant surgeons to master. Level up your skills with the PG Diploma in Advanced Techniques in Implant Dentistry from One to One Implant Education.

The course, led by Dr Fazeela KhanOsborne and Dr Nikolas Vourakis, delves into hard and soft tissue augmentation techniques, equipping delegates with the confidence to take on complex cases. Alongside this, clinicians will gain skills for full arch reconstruction, socket therapies and much more.

Involvement in this practical-based course advances the skillsets needed to transform more patients’ lives, ensuring optimal care is given those who need

implant rehabilitation to significantly improve their quality of life.

Transform your abilities with confidence, and contact the One to One Implant Education team today to learn more.

To reserve your place or to find out more, please visit https://121implanteducation.co.uk or call 020 7486 0000.n

tandex.dk

Limited by name, unlimited in potential

simon cosgrove, Dental Regional Manager and qualified Specialist Financial Adviser at Wesleyan Financial Services, answers the common question of whether to operate through a limited company

Whether you’re expanding your private work or growing your practice, the question of whether to operate through a limited company often arises. It’s not just an accounting decision – it could shape your pension, tax planning, and long-term financial security.

As a dental Specialist Financial Adviser, one of the most common questions that I have been asked by dentists over the years is: “Should I set up a limited company?” My answer has always been the same, which is that it’s a decision that you should make in consultation with your accountant. But from a financial planning perspective, there are several important considerations you should be aware of.

nHs and limited companies: the critical distinction

Let’s start with a vital point. An associate who provides NHS treatment through a limited company is no longer eligible to contribute to the NHS Pension Scheme. This could have a significant impact on their finances, as it is not just their retirement income that will be impacted, but they will also lose Death in Service life cover, and their spouse’s and dependants’ pensions will also be impacted, as well as their eligibility for parental leave.

It is possible, however, for an associate to provide private dental treatment through a limited company, whilst remaining self-employed for their NHS work, which is how many dentists structure their business.

Principal dentists, on the other hand, can provide NHS treatment through a limited company. However, as the company is entering into the contract rather than the individual, the company will need to be registered with the CQC and meet all of the requirements of the NHS contract. In addition, the pensionable earnings will be based on salary and dividends taken, rather than the principal’s share of 43.9% of the NHS contract value. This could have a significant impact on your future plans.

The key implications

With that distinction covered, let’s look more broadly at the financial planning implications of limited companies.

The ‘limited’ in the name refers to limited liability – the director’s personal assets are protected from any of the company’s debtors, so assets such as the family home and any savings are safe. This is arguably the biggest advantage of a limited company, but the main

attraction of setting one up for many dentists is the potential tax advantages of doing so.

Profits from a limited company can be withdrawn as a combination of salary and dividends.

Many dentists choose to take a salary equal to the Personal Allowance, which is the amount you can earn before paying income tax

– £12,570 for the 2025/26 tax year.

Anything taken above this is usually paid as dividends, which are taxed at lower rates than income tax:

• 8.75% for basic-rate taxpayers

• 33.75% for higher-rate taxpayers

• 39.35% for additional-rate taxpayers

This compares to standard income tax rates of 20%, 40%, and 45% in England and Wales. Scotland has different bands, ranging from 19% to 48%.

However, before any profits can be paid out, they’re first subject to Corporation Tax, which ranges from 19% to 25% depending on the size of your profits.

It’s also worth noting that running a limited company comes with more paperwork and stricter reporting rules to sole traders and partnerships. You’ll need to file annual accounts with Companies House and meet HM Revenue and Customs (HMRC) requirements.

Please note: Tax treatment depends on individual circumstances and may be subject to change in the future.

Make surplus funds work harder

A private limited company is a separate legal entity from its director(s), therefore it is easier to control how and when any profits are withdrawn, and so when they are liable to taxation and how much they would be liable for.

This control over when to take profits from a limited company can lead to funds building up and sitting in its bank account, to avoid being withdrawn as income and subject to taxation. This is something

that I have dealt with regularly – sometimes an accountant will recommend that a dentist keeps their income from the company below £100,000 to fully maintain their Personal Allowance, for example, so funds quickly accumulate and are exposed to inflation risk. This could be used for investment in the practice, but another solution could be commercial investments.

This is where the company itself invests the money (which could be a lump sum or on a regular monthly basis) for potential growth over the medium to long term. The funds can then be withdrawn in the future, possibly when the director is subject to a lower rate of income tax (e.g. after retirement).

Please note: The value of investments can go down as well as up, and you may get back less than you invest.

Turn business profits into pension potential

Similarly, limited companies can make pension contributions for their directors, which are tax deductible. You can, of course, still choose to make contributions personally from income received from the company, but any contributions made through the company are classed as a business expense and so reduce the Corporation Tax liability.

Company contributions are still capped at the Annual Allowance for the year, which is £60,000 for 2025/26, although carry forward of unused allowances from the previous three tax years may be available. Be mindful, though, that if you have high earnings, your Annual Allowance may be tapered and so reduce the amount of contributions that you can make.

seek specialist support

In summary, a limited company can be the right business

structure for many dentists, but it’s essential to be aware of the downsides and not just attracted by the potential tax advantages, particularly for associates providing NHS treatment. Discussing your specific circumstances with a dental accountant, in conjunction with dental specific financial adviser, can ensure it’s the right move for you. To find out whether a limited company is the right structure for your practice and how it could impact your tax, pension and longterm plans, start a conversation with a dental Specialist Financial Adviser at Wesleyan Financial Services.

Visit wesleyan.co.uk/dental or call 0808 149 9416.

Charges may apply. You will not be charged until you have agreed to the services you require and the associated costs. Learn more at www.wesleyan.co.uk/charges. n

Wesleyan Financial Services Ltd (Registered in England and Wales No. 1651212) is authorised and regulated by the Financial Conduct Authority. Registered Office: Colmore Circus, Birmingham B4 6AR. Telephone: 0345 351 2352. Calls may be recorded to help us provide, monitor and improve our services to you.

about the author Having vast experience as a dental specialist financial adviser (sfa) over the years, simon cosgrove is now a Dental Regional Manager at Wesleyan financial services, guiding a team of dental sfas to support dentists, their families, and their practices with financial planning to secure their financial future.

INTRODUCING

PROFESSIONAL TEETH WHITENING

GUARANTEED 5-DAY TURNAROUND

No bulk purchases required

ULTRA-SEAL TRAYS FOR INDUSTRYLEADING EFFICACY

NO BULK PURCHASES REQUIRED

Specially formulated pH neutral Day & Night gels

PH NEUTRAL GELS FOR REDUCED SENSITIVITY

REQUEST MORE INFORMATION ABOUT VITALISSE.

The quiet comeback of the NHS dental practice

The dental practice market is always evolving and, today, the demand for NHS practices is making a strong return.

In the early days of my career at Lily Head Dental Practice Sales, nearly every buyer I spoke to possessed clear ambition to buy an NHS practice: first-time buyers were seeking practices with around 12,500 UDAs, and investors looked for 18,000 or more. NHS practices were highly sought after, and the model was a buy and exit through a sale to a body corporate for 12 X EBITDA. But that changed post-2019. Recruitment struggles, cosmetic dentistry appetite, contract pressures, and clawback concerns caused a shift. Buyers began to favour private practices or those where the NHS element was a smaller, manageable component. The tide moved away from NHS-heavy models as an obvious exit route for the NHS micro groups diminished.

However, the market is shifting once again. Today, there’s renewed optimism around quality, well-run NHS practices or those which have opportunity to be developed. Why is this the case? The pressures of running and sustaining an NHS practice have been partially recognised and there is increased optimism around the benefits of and running an NHS/mixed practice. Recruitment of overseas dentists is improving. The Overseas Registration Exam (ORE) system has

boosted both exam and registration capacity, although waiting times are still a problem.

In parallel, ICBs (Integrated Care Boards) have become more flexible and provider-friendly, adjusting UDA targets and offering more competitive rates to help with recruitment and retention.

Associates recognise the benefit of retaining the benefits and pension associated with owning and working in an NHS practice when they buy a practice of their own.

There’s also a broader market recognition that private growth has reached a plateau. Many dentists are noticing gaps in their appointment books and less upward momentum. That, in turn, is prompting a revaluation of the value in steady, contract-based NHS income.

We’re also seeing the rise of microgroups who are actively seeking NHS contracts. These groups are contributing to the resurgence in demand for NHS practices. However, the focus of these groups is to build a quality group in which innovation, quality and leadership are the focus, rather than simply building EBITDA to exit.

As a result, our phones are ringing again with buyers specifically asking for NHS practices.

Market trend

Over the last five years, NHS and mixed practices have consistently sold at an average multiple of 4.0 times the owner-led profit. In fact,

each year, excluding 2023, NHS practices achieved multiples above 4.0. The market did see a dip in 2023, as values reacted to the NHS contract challenges and re-adjusted post-pandemic market peak, with NHS practices dropping to 3.71 times profit. However, from the second half of 2024 into 2025, values have rebounded sharply, now reaching an average of 4.33 times owner-led profit – a 17% increase. Geographical variations remain, as always, directly relating to demand and recruitment challenges.

How principals can maximise nHs goodwill

NHS practices can be great places to work and can provide owners with a high-performing business. While many dentists have chosen to leave the NHS due to recruitment pressures and administrative demands, we continue to see wellperforming mixed practices thrive. There’s a lot a principal can do to enhance the goodwill value of their NHS practice and make it as attractive to buyers as possible in what is proving to be a good market.

• Obtain a baseline valuation of a practice

• Ensuring that UDA targets are consistently met

• NHS rates paid to associates are sustainable for recruitment and retention. Buyers will recognise below market average rates paid as a risk

• Explore if a mixed practice model suits your patient base and build a team of associates who can communicate treatment options

• Communicate with your ICB if there are challenges delivering the contract. Discussing the viability of delivering the contract and the impact on patient care, the ICB may be open to contract adjustment if there is justification

• Paradoxically, leaving potential and space for your incoming buyer increases attractiveness. Space within the practice (both physical and operational) to expand private services, such as hygiene plans, cosmetic dentistry, or specialist treatments So, is the day of the NHS practice back? Based on what we’re seeing in the market, the answer is yes. n

about the author

Dentistry Shows

The Dentistry Show

Dentistry Shows

The Dentistry Show

Dentistry isn’t standing still - with rapid advancements in digital dentistry, AI and technology and new ways of treating patients appearing across every specialty. At DSL you will hear from 100+ internationally renowned speakers, be the first to try the latest products and services from 180+ exhibitors, boost your business knowledge and gain Enhanced CPD. Seize the innovations shaping the future and bring more bite to your practice.

Dentistry Shows

The Dentistry Show

What practice can I afford?

Unfortunately, buying a dental practice is nothing like buying a house! Typically, you can’t speak to a finance broker and get an ‘agreement in principle’ approved before you start your practice search. This is simply because the practice profit is responsible for the loan repayments and, therefore, without the practice details, lenders cannot confirm what level of loan you can afford to repay.

Additionally, for buyers who are looking to leave their associate position to work in the target practice, the practice income will also need to cover their personal costs. As such, funding is based on a combination of your personal circumstances/finances and the target practice combined.

So, how are you supposed to know which practices you can afford? The first question to ask is, what will you earn?

Let’s say you are currently a full time, self-employed associate earning £100,000 per annum before tax and NI contributions. This means that you are taking home approximately £69,000 per annum, or £5,750 per month. Of this, you pay for your personal living expenses, daily spends, holidays and any savings.

How much do you have left over each month?

Now, let’s say you are looking at a practice with a projected profit/EBITDA for a full-time principal of £125,000 per annum. That sounds like a good income increase, right? However, EBITDA stands for earnings before interest, tax, depreciation and amortisation, therefore you won’t take the full £125,000 home.

Firstly: loan interest. Let’s say you purchase as a sole trader and take bank finance for £562,500, based on a purchase price of £625,000 and a 90% goodwill loan. Assuming a variable interest rate of 2.5% plus Bank of England base rate (currently 4.25%), giving a total interest rate of 6.75%, your monthly loan repayments will be around £4,900 per month (£58,800 per annum, capital and interest). Of this, total loan interest in Year 1 would be approximately £38,000 with the remaining £20,800 being capital repayment.

Secondly: tax. As loan interest is tax deductible, this leaves you with a taxable income of

£87,000 (£125,000 – £38,000). Tax and NI contributions would consequently be around £25,230, leaving you with £61,770 before loan capital repayments of £20,800.

As such, after tax and loan repayments, you would take home around £40,970 per annum, or £3,414 per month. Therefore, if your monthly living expenses are higher than this, you would not be able to afford to purchase the target practice with a Principal Led EBITDA of £125,000. (Assuming there is no additional household income.)

Although not factored in above, it is important to note that lenders also require a surplus profit, typically 25-50%, to ensure that serviceability is not too tight. In addition, they will also stress test serviceability at a higher total interest rate (similar to a mortgage) to ensure that repayments are still affordable should the Bank of England base rate rise. Therefore, whilst the above figures are assumed to show your take home, lenders will work on the assumption that you take home less than this to see if the figures still work.

As you can see, it is not a simple calculation and there are many mitigating factors to consider, including: whether you will trade as a sole trader or a limited company (the target practice itself will impact this); whether you plan to buy or rent the practice premises (you would of course have additional loan repayments if purchasing the property); and whether you can immediately increase the practice turnover/profitability or undertake more of the practice income yourself.

Please also note that the above purchase price of £625,000 based on a Principal Led EBITDA of £125,000 would be a 5x multiple, which is higher than most areas would achieve. Therefore, it is important to speak with experienced advisors regarding the practice value prior to placing your offer, as this has a big bearing on whether the finance will be achievable without additional cash input.

Whilst the above calculations focus on the financial viability of a practice, many people are shocked to hear how much the lenders will also consider your business plan, including what your immediate and long-term plans for the practice

are. The banks want to lend, but they need to be confident that you are a good prospect to lend to. It is therefore important to give your broker as much information as possible about your business plan so that they can put a strong lending proposition forward on your behalf.

In terms of a cash deposit, consider how much you can save prior to your practice search. Most buyers will need a 10-20% deposit. Lenders may question how ready you are to purchase if you don’t have a cash deposit ready, plus where your spare money is going if you are showing that you currently have surplus cash per month.

Given that each loan application is dependent on the combination of the individual, the target practice and how you plan to run it, there are many more factors to dental practice purchase finance that cannot be discussed here. For detailed guidance, engage with a specialist dental broker before or during your practice search. n

NB: All calculations are rounded and do not take into account student loan repayments, individual personal circumstances, or accounting adjustments.

about the author samantha Hodgson is a finance broker and practice valuer at PfM Dental.

Why mystery shop calls can transform your dental practice

Running a successful dental practice isn’t just about providing the best clinical care – it’s also about creating a great experience for your patients. And that experience starts long before they sit in the dental chair. Often, a potential patient’s first interaction with your practice happens over the phone. So, how do you know if your front desk team is making the best first impression? That’s where mystery shop calls come in.

Let’s be real – no one likes calling a business and being met with a rushed or unfriendly voice. A warm and helpful frontof-house team can turn a curious caller into a lifelong patient. Mystery shop calls help you spot areas where your team shines and where they might need a little coaching to improve their tone, clarity, and helpfulness. Maybe your receptionist is great at being friendly but struggles to explain payment plans and financial options. Or perhaps they don’t sound confident when discussing appointment availability. Mystery shop calls uncover these weak spots so you can provide targeted training

and make sure your team has the right information at their fingertips. First impressions matter, and that first phone call can determine whether a caller books an appointment or hangs up and calls the next practice on Google. If your team consistently delivers an excellent phone experience, you’ll see more potential patients actually walk through your doors – and keep coming back.

Get unbiased, honest feedback

As a business owner, it’s tough to get a true sense of how your front desk operates when you’re not around. Your team might be on their best behaviour when they know you’re listening. Mystery shop calls provide an unbiased look at how things run when they think no one is watching or listening in. Are your receptionists making it easy for patients to book appointments? Or are they unknowingly turning people away by sounding hesitant or unhelpful? Mystery shop calls can highlight whether your team is confidently guiding callers toward scheduling visits or letting potential patients slip through the cracks.

We know that one bad phone experience can lead to a negative online review, as everyone likes to share their bad experiences. On the flip side, a friendly, helpful interaction can earn your practice 5* reviews and referrals. Consistently monitoring and improving phone interactions helps keep your practice’s reputation strong and your patients happy. We know businesses grow on referrals and recommendations from family and friends.

boost revenue without extra marketing costs

You don’t always need to spend more on advertising to grow your practice. Sometimes, improving the way your team interacts with callers is enough to increase bookings and patient loyalty. More booked appointments means more revenue – and mystery shop calls help ensure you’re maximising every opportunity. Implementing mystery calls in your dental practice is easier than you think:

• Hire a professional mystery shopping service or train a trusted team member to conduct evaluations

• Set key performance criteria, such as friendliness, knowledge, and ability to book appointments

• Review feedback and provide coaching where needed

• Conduct these calls regularly to ensure continued improvement

At the end of the day, your dental practice isn’t just about the treatment – it’s about people. Every interaction, from the first phone call to the final goodbye, shapes how patients feel about your practice. Mystery shop calls help you fine-tune your team’s communication skills, boost patient satisfaction, and grow your practice. By ensuring every phone interaction is a positive one, you’re setting the stage for long-term success. n

about the author

John Gow, account Manager, connectmymarketing.com

Latest dental practice market trends discussed

latest Goodwill Report from

Overall, the volume of transactions completed in 2024/25 was significantly higher than in the previous financial year, which suggests that the previous uncertainty around interest rates has begun to settle. A broad acceptance that interest rates are falling – or, at the very least, are not rising any time soon – is driving this increased confidence to buy.

Another factor affecting the market is that many practices are re-mortgaging on the lower interest rates. This is supporting profitability and long-term financial stability of the businesses. On the ground, dental practices have grown in strength thanks to ongoing demand for their services, which is unlikely to reduce in the foreseeable future. All of this is making dentistry an attractive market for continued investment.

Who is buying and what are they looking for?

Just under 70% of practice transactions in the 2024/25 financial year were completed by independent buyers. This has remained steady in recent years, despite perceptions that groups and corporates buy far more than they do.

With regards to what type of practices are being sold, mixed businesses are top of the list. For the sake of the Goodwill Report, any practice offering more than 80% NHS services would be considered an

NHS practice, and same for private. Mixed practices include any with a broader spread of NHS and private services.

With this in mind, it is fairly unusual to see highly successful fully NHS practices, with most operating with more than 20% private dentistry as this is where the key profitability is unlocked. While the NHS offering does bring patients through the door and the value of this is recognised, many patients will end up having some private treatment, boosting revenue. That said, having even a small NHS contract does provide sustainability of income, which is acknowledged by lenders for the benefit of potential buyers.

As such, it makes sense that mixed practices were the most common type of business being sold in the past 12 months. If and how this changes in the future, we will have to wait and see. Everything from NHS contract reform to the increasing popularity of patient payment plans and evolving private dentistry fees will all impact whether patients seek more NHS or private services in the coming years. The most important factor for any principals considering a sale in the next few years is to not change the business model too much. For example, selling an NHS contract could prevent the practice from going to market for several years because it will be in a state of flux for some time, making financial forecasts and valuations impossible.

The cost of business

The data for sales to independent buyers reported an average practice price of just under £792,711, achieving 135.92% of business turnover. This equated to an average Fair Maintainable Trade (FMT) multiple of 3.31 across different practice compositions. The highest multiples were recorded in London and the South East, Wales, and the Midlands, while the lowest were in the South West, the North West and the North East and Yorkshire.

For practices sold to groups, a national average EBITDA (Earnings Before Interest, Tax, Depreciation and Amortisation) multiple of 7.16 was achieved across all tiers. The average sale price for Tier 1 buyers (those with 50+ practices) was £3,245,416, for Tier 2 (20+ practices) it was £3,484,090, Tier 3 (10+ practices) £1,341,010 and Tier 4 (4+ practices) £1,674,947. This price brackets suggest little competition at the higher end of the market, as buyers in these tiers are focusing on much larger transactions.

Side note – the sale of practices to independent and group buyers is calculated slightly differently, using multiples of FMT and EBITDA respectively to account for the cost of a full-time principal in the latter category.

The spotlight for vendors remains on optimising finances and practice value in the time before going to market. There are four key financial areas to manage carefully

to avoid raising costs from impacting the business valuation at the point of sale. This excludes major overheads because, for the most part, there’s very little that can be done to reduce them. Those that can be monitored and optimised are: materials and lab fees, staff costs, and associate fees.

Takeaways

In conclusion, the dental practice market remains dynamic and competitive overall, driven by strong buyer demand and favourable lending terms. Independent buyers continue to dominate transactions, with a stable appetite for entry-level opportunities and particularly for mixed practices.

For anyone approaching a sale or acquisition in the next few years, preparation is key to a successful process. For advice on current market trends or ways in which to optimise your situation for the future, the experts at Dental Elite would be more than happy to help.

For more information visit dentalelite.co.uk, email info@dentalelite.co.uk or call 01788 545 900 n

about the author Luke Moore is one of the founders and Directors of Dental elite.

Rising and falling – the inflation problem

Inflation is a word we all know – and dread. Like a rollercoaster with no endpoint, the UK economy has been in a state of fluctuation that makes it harder to predict inflation. Whether navigating soaring prices or low interest rates, being able to manage the storm of a shifting economy is essential, reducing the risk of stress and ensuring greater financial stability.

Inflation is the measure of how much goods and services are going up over time. Popular conversation topics around inflation include the rising price of a Cadbury’s Freddo bar, the loss of the 99p McDonald’s Saver’s Menu, and the inequitable cost of a pint. Though these types of products often rise faster than inflation, they still act as an accessible gateway for understanding how goods and services increase year-on-year.

an inflated impact

Inflation is more reliably measured by Consumer Prices Index (CPI), Retail Price Index (RPI), and Consumer Prices Index with Housing (CPIH) . When the cost of common products (food, alcohol, clothing, housing expenses) or services rise, the rate of interest for cash savings accounts lowers. Higher interest rates bring down inflation because there are higher payments on mortgages and loans, meaning people must spend more on them and less on other things. Higher interest rates also mean that savers get more return on their money and potential borrowers find it more expensive to take out a loan – spending therefore

becomes a less attractive prospect, and businesses are likely to control their prices, rather than raise them. When this happens, inflation falls.

Decreasing inflation sees a rise in interest rates, bolstering savings. However, the higher the interest rate rises, the higher the amount lost to tax will be, depending on your Personal Savings Allowance (PSA). If an account has £100,000 and enjoys a 6.5% interest rate, it will be worth £106,500 after a year. But, if the account owner is on the higher tax rate and pays 40% in tax, only £500 of that will be part of the tax-free PSA, and £2,400 will be taken off in tax. For cash ISAs or stocks and shares ISAs, the interest is tax free.

Where to put your money

Deciding where to put savings is ultimately a choice between risk and stability. When savings rates drop, you can either weather the storm in the economic sanctuary of a fixed rate account, or ride it by switching between the best accounts or buying

into investment funds. With a fixed rate savings account, money is locked away and maintains a constant interest rate (e.g 4% over a year). This makes budgeting and financial planning more predictable. On the other hand, the money cannot be withdrawn without closing the account and/or paying an early access charge. As such, this should not be an emergency savings pot and is better utilised for leftover savings.

from risk to reward Non-fixed savings options, such as ISAs, instant access savings accounts and stocks and shares are riskier but can also be more rewarding. Buying into investment funds is recommended to diversify and spread money across multiple avenues. This could instead mean moving 40% of savings in property, 30% in equities and 30% in fixed-interest securities. Within the equities you may wish to diversify further, buying stocks for businesses across different sectors. From IT and technology to clothing brands or entertainment, broadening your investments means that changes in the economy may not affect all of your assets. Companies that are worth investing in can be broadly categorised into two options. First are the pricing power businesses that do well in times of rising inflation, like food, drink and drug companies. Second are those with a strong brand loyalty that will flourish even if their prices are increased due to inflation. Overlap between these two

is likely to be a good choice. Wherever your investments go, it is worth staying in the market for a long period to lower the risk of short-term price movements and improve the long-term outcome.

For highly reliable support in managing your savings during turbulent economic times, seek the assistance of money4dentists. With over half a century of financial expertise, the team of independent financial advisers have access to the latest information and resources, ensuring that your money is in the place that most suits your needs. Trust the capable hands of money4dentists to maximise your savings. From small but sudden surges in economic growth to periods that have cratered near recession, inflation in the UK has long been a struggle to navigate. Take the steps needed to protect your savings by diversifying your assets today.

For more information please call 0845 345 5060.

Email info@money4dentists.com or visit www.money4dentists.com n authors

Richard Lishman and Sarah Guilford at money4denitsts.

Luke Moore summarises the key findings of

Peace of Mind for 60 Years

Bactericidal, with yeasticidal activity against enveloped viruses (enveloped viruses incl. HBV, HCV, HIV, and coronaviruses), non-enveloped adenoviruses and noroviruses.

Orotol Plus disinfects, deodorises and cleans all suction and amalgam separating systems and spittoon bowls. Use alongside MD555 to descale and physically clean all components of the suction unit and drain lines.

Orotol Plus is non-foaming, designed to protect and care for your suction unit. It’s high-standard material compatibility ensures performance and longevity.

For more information visit www.duerrdental.com/en/products/hygiene

Turn static files into dynamic content formats.

Create a flipbook
Issuu converts static files into: digital portfolios, online yearbooks, online catalogs, digital photo albums and more. Sign up and create your flipbook.