The Probe April 2024

Page 1


References: 1. Vs baseline, Nathoo et al. J Clin Dent. 2009;20 (Spec Iss):123 –130 (when toothpaste is applied directly with a finger tip to each sensitive tooth for one minute.) 2. With continued use, Docimo et al. J Clin Dent. 2009;20 (Spec Iss):17–22. 3. Vs previous formula, in vitro acid resistance after 5 brushings, report by Hines 2021, Data on File, Colgate-Palmolive Technology Center (2021).

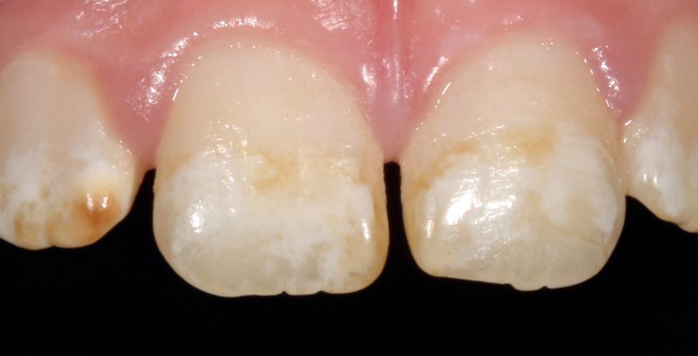
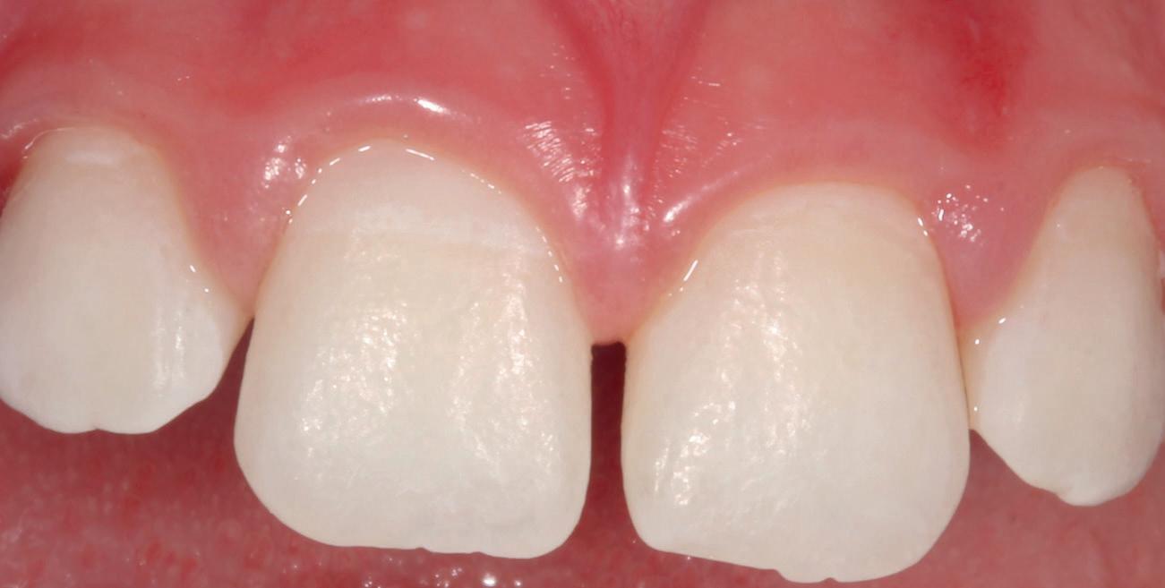
1 and long-lasting pain

2 Now with enhanced acid resistance 3 80.5 % Long-lasting reduction in sensitivity pain2 Reduction in sensitivity pain from the first use 1 60.5 % And superior dental tubule occlusion4 with PRO-ARGIN + Zinc Phosphate

References: 1. Vs baseline, Nathoo et al. J Clin Dent. 2009;20 (Spec Iss):123 –130 (when toothpaste is applied directly with a finger tip to each sensitive tooth for one minute.) 2. With continued use, Docimo et al. J Clin Dent. 2009;20 (Spec Iss):17– 22. 3. Vs previous formula, in vitro acid resistance after 5 brushings, report by Hines 2021, Data on File, Colgate-Palmolive Technology Center (2021). 4. Pro-Argin technology vs Stannous fluoride / sodium fluoride technology. Liu et al. J Dent Res. 2022;101(Spec Iss B):80.’ Scan the QR code to learn more or visit www.colgateprofessional.co.uk/products/sensitive-instant-relief

Dental hygienists and therapists to gain ‘greater powers’

The Department of Health and Social Care and its Parliamentary Under Secretary, Andrea Leadsom MP, have announced plans to streamline processes within dental and pharmacy settings and improve patient experiences by granting ‘new powers’ to dental hygienists and dental therapists, as well as pharmacy technicians, following two public consultations.

The move will reportedly help to free up access to care for patients across dental practices and pharmacies while building on efforts to improve access to primary care, including through Pharmacy First and the Dental Recovery Plan.

Primary Care Minister Andrea Leadsom has announced dental hygienists and dental therapists will be able to supply and administer medicines, including pain relief and fluoride – without sign off from a dentist. This, in theory, will free up more time for dentists, allowing them to deliver more patient-facing clinical services and improving access to primary care services for patients.

The announcement is part of the latest series of measures the government has brought forward to cut waiting lists and

improve access to primary care, which includes the publication of the Dental Recovery Plan, which aims to free up 2.5 million more appointments this year, and the expansion of the Pharmacy First scheme, which enables pharmacists to treat seven common conditions, and will reportedly free up to 10 million GP appointments per year. There are currently over 25,500 pharmacy technicians working in pharmacies across England, Scotland and Wales, while there are 9,733 dental hygienists and 6,198 dental therapists currently registered with the General Dental Council in the UK.

Primary Care Minister Andrea Leadsom added: “We want to give patients faster, simpler and fairer access to the care they need, when they need it – and giving these powers to pharmacy technicians, dental therapists and hygienists will do just that. Today’s announcement shows we are continuing to deliver on our promises made to improve access to primary care for all, building on the government’s long term ambitions, including through the Dental Recovery Plan and the expansion of the Pharmacy First Scheme.

“We want to ensure our fantastic staff are recognised for the vital work that they do, working to their full scope of practice and delivering for everyone who walks through their doors.”

Miranda Steeples, President of The British Society of Dental Hygiene and Therapy, said: “BSDHT welcomes plans to enable our professions to work to the full extent of their skillset and give them new powers that enable them to offer patients the care they need. Everyone will benefit from an oral healthcare team that runs more smoothly and uses its time effectively.”

Dr Fiona Sandom, Chair of The British Association of Dental Therapists, said: “The British Association of Dental Therapists is delighted that dental therapists and dental hygienists will soon be able to supply and administer certain prescription only medicines to patients without a need for a patient specific direction (PSD) or a patient group direction (PGD). This will allow dental therapists and dental hygienists to use their full scope of practice and deliver the care they have been trained and educated to deliver.” ■

GDC publishes ‘update on transparency, trust, and improving the FtP process’

The General Dental Council (GDC) is looking into the level of detail published from Interim Orders Committee (IOC) hearings, and how it plans to report deaths during an FtP (Fitness to Practise) investigation.

The GDC states that it recognises FtP is a stressful and difficult process, noting that it has taken various steps to minimise unnecessary stress and anxiety and ensure that the small number of dental professionals involved in an investigation are supported and that their mental health and wellbeing is a priority.

Last year, following an inquest, a coroner raised concerns with the GDC about the level of detail that is put into the public domain regarding allegations being considered by an IOC.

The GDC has expressed great sadness about learning of the death of a dentist whose case was under investigation and send their deepest sympathy and thoughts to their family.

The regulator recognised the concerns raised by the coroner and at the time, work

was underway to review the policy on the publication of IOC outcomes. The aim of the review is to ensure the correct balance of the public interest in open justice and safety, against the interests of the dental professional, particularly when assessing untested allegations. The role of the IOC is to assess immediate and serious risks to public safety or confidence and to take action when necessary. It does not have a role in making findings of fact.

The GDC is working to build a framework to report the causes of death of dental professionals where there is an active FtP case, guided by an evidence review and engagement with experts including the National Suicide Prevention Strategy Advisory Group. The regulator explains the work underway to bring together a report that covers the period 2019 to 2022, to be published in 2024.

Stefan Czerniawski, Executive Director, Strategy, said: “We were deeply saddened to learn of the death of a dentist whilst they were under investigation. We are committed

to reflecting and learning lessons where we can and are developing a process to undertake a serious incident review when we become aware that someone has died while subject to a fitness to practise investigation.

“We want to build and maintain trust between us and the dental professionals we regulate. Minimising stress experienced in the fitness to practise process is one way to do that and we have a number of improvements underway. Reporting the causes of death of registrants will also improve transparency. However, balancing transparency with the public interest, our responsibilities as a regulator and the impact on dental professionals requires consideration of different perspectives and views in order to ensure constructive discussion about what are often difficult and sensitive issues.”

Read the full update on the GDC’s website: https://www.gdc-uk.org/newsblogs/blog/detail/blogs/2024/03/27/ transparency-trust-and-improving-thefitness-to-practise-process ■

A welcome from the editor

A colleague noted a couple of weeks ago that we have passed the fourth anniversary of the Covid-19 lockdown beginning. Doesn’t time fly? It feels like just a couple of years ago that dental settings were temporarily closed, not four. Although, that probably has something to do with those lost two years… The first quarter of this year felt a world away from pandemic life. There have been various product launches and trade shows (including BDIA Dental Showcase, featured on page 56), in addition to an international press trip to Geneva to visit the factory and HQ of EMS – something that would have been inconceivable in 2020. The visit to the home of Guided Biofilm Therapy was an eye-opener for myself, as I even gained a little first-hand experience in dental hygiene (I wrote my name on a quail’s egg) and developed renewed appreciation for the work of all dental care professionals.

Speaking of DCPs, dental hygienists and therapists will soon have the ability to supply and administer medicines, including pain relief and fluoride without the need for sign off from a dentist. Read more on the previous page, or watch our exclusive interview with BSDHT President Miranda Steeples here: https://tinyurl.com/DHDTpowers – or scan the QR code.

The Probe is published by Purple Media Solutions.

Registered in England. Registered number 5949065

Managing Editor: James Cooke

Commercial Director: Gary Henson

Divisional Administrator: Francesca Smith

Production Designer 1 : Lorna Reekie

Production Designer 2: Rob Tremain

Digital Content Manager: Stephen Wadey

Circulation Manager: Andy Kirk

Director: Ed Hunt

Managing Director: Steve Hardiman

Regular Contributors: Lisa Bainham, Nigel Carter, Barry Cockcroft, Ollie Jupes and Pam Swain

E-mail news, stories or opinion to james.cooke@purplems.com

Circulation/Subscriptions: The Probe Subscriptions, Perception SaS, PO Box 304, Uckfield, East Sussex, TN22 9EZ, Tel: 01825 701520, https://purplems.my-subs.co.uk ©Purple

Media Solutions Ltd, 2014. All rights reserved. ISSN 0032-9185. The publisher’s written consent must be obtained before any part of this publication may be reproduced in any form whatsoever, including photocopies, and information retrieval systems. While every effort has been made to ensure that the information in this publication is correct and accurate, the publisher cannot accept

liability for any consequential loss or damage, however caused, arising as a result of using information printed in this magazine.

The views expressed in The Probe are not necessarily the views of the magazine, nor of Purple Media Solutions

Editorial Advisory Board: Dr Barry Oulton, B.Ch.D. DPDS MNLP; Dr Graham Barnby, BDS, DGDP RCS; Dr Ewa Rozwadowska, BDS; Dr Yogi Savania BChD, MFGDP; Dr Ashok Sethi, BDS, DGDP (UK), MGDS RCS; Dr Paroo Mistry BDS MFDS MSc MOrth FDS (orth); Dr Tim Sunnucks, BDS DRDP; Dr Jason Burns, BDS, LDS, DGDP (UK), DFO, MSc; Prof Phillip Dowell, BDS, MScD, DGDP RCS, FICD; Dr Nigel Taylor MDSc, BDS, FDS RCS(Eng), M’Orth

Janet Pickles CEO R A Medical
Dr Philip Johnstone Dentolegal Consultant Dental Protection
Dr Kiran Shankla Internationally published award-winning dentist
Dr Nilesh Parmar Implant & Cosmetic Dentist
Dr Nikolas Vourakis Senior Implant and Restorative Surgeon
Jeanine Buitenhoff ten cate Practice Manager
Dr Fazeela Khan-Osborne FACE Team Founder One To One Dental Clinic
Catherine Rutland Clinical Director Denplan

In memory of Dr Stephen Jacobs

The Association of Dental Implantology (ADI) has expressed deep sadness in announcing that its former President, Dr Stephen Jacobs, has passed away.

The message released by the ADI explains remarks upon how Stephen was not only a highly respected, highly regarded and celebrated colleague but also a dear friend to many at the ADI and the wider dental community.

‘His presence brightened our lives. His kindness, dedication and smile touched us all, leaving an indelible mark in our minds and hearts.

‘Stephen was integral to the ADI right from the early days, actively involved in committees and shaping the direction of Implant Dentistry in the UK and later becoming its President in 2009-2011. He

was an inspiring educator running courses nationally and internationally and has mentored numerous dentists on their implant journey. He was a dedicated family man, an innovator being at the forefront of implant dentistry from the early 90’s and was one of only a few dentists being honoured with a Fellowship from The American Academy of Osseointegration and more recently an Outstanding Service Award from the same institution. A consummate professional, Stephen embodied everything the ADI stands for. His humour and endearing smile will be sorely missed. We were lucky to have him with us.

‘Stephen was an exceptional human being who made a positive impact on all those he met. The ADI sends deepest condolences and heartfelt sympathy to his 3 daughters and family.’n

NASDAL: Associate profits up by almost

NASDAL (the National Association of Specialist Dental Accountants and Lawyers) launched its annual Benchmarking Report in March, during a press conference at BDA headquarters in London for the financial period, 2022-23. The eagerly awaited figures have shown:

• Average Associate remuneration is up for the second year in a row from £75,488 to £80,554 – a 6.71% increase

• A small increase in typical practice profits but smaller than inflation (from £172,291 in 2022 to £175,063 in 2023)

• A reduction in private practice profit – a drop from £178,513 in 2022 to £175,800 – but still returning to expected levels (2022 was higher due to the impact of the pandemic)

• Differential of profitability between NHS and Private practices – £17,893

• Practices with Associates still show much higher average net profit per Principal – £181,170 versus £146,843 single-handed in this year’s figures Ian Simpson, Chartered Accountant and a partner in Humphrey and Co, which conducts the statistical exercise,

commented: “This year’s figures did fulfil our expectations. We had expected a small rise in practice profits overall and to also see private practices fall back somewhat after the heights of the ‘Zoom Boom’. There is still a big gap in profits between NHS and mixed and private practices and it is difficult to see this gap ever closing as NHS practices cannot pass on increased material and wage costs.

“The continued growth of Associates’ income is welcome but likely to be a ‘market correction’ as their incomes have been so static for the last 15 years or so. As we look forward to the 2024 figures, we expect to see a continuation of growth – perhaps across all sectors? It

7%

will be an election year and an incoming government may spend more on NHS dentistry. However, we are in a recession so private and mixed practices will have to work hard to grow their businesses whilst keeping costs under control.”

Heidi Marshall, of Dodd & Co Specialist Dental Accountants and Chair of NASDAL, observed: “Thank you to Ian and his team and all the NASDAL members for pooling this useful data. One interesting point to note is that the 2022-23 figures saw a reduction in the number of NHS practices and an increase in the number of mixed and private practices in the sample. Statistical anomaly or change in the market? Time will tell…”

The annual Benchmarking Survey statistics are gathered from the accountant members of NASDAL across the UK who together act for more than a quarter of selfemployed dentists. The statistics provide average ‘state-of-the-nation’ figures so NASDAL accountants can benchmark their clients’ earnings and expenditure and help them run their practices more profitably. The basis of the survey figures is 2023 tax returns and accounts with year ends up to 5 April 2023. n

NHS dental crisis causing anxiety

The Oral Health Index, published by the Wrigley Oral Healthcare Programme to coincide with World Oral Health Day on 20th March, shows broad public disenchantment with dental services across the country.

While 68% of people say they feel more confident with a healthy smile, nearly a third of people (32%) report being stressed or anxious about the state of their own oral health.

Furthermore, one in ten people (10%) in England have missed more than two weeks of work in the past three years due to dental problems, a national survey has found. The younger workforce has been hit twice as hard, with one-in-five 16- to 34-year-olds reported to have missed at least a fortnight of work over oral health problems.

Two-thirds of respondents (64%) believe the country is experiencing a crisis in dental service provision – a broadly similar proportion to 2022’s Index (67%).

An overwhelming majority (72%) of people want to see more investment from Government in dental services, with over three in five (62%) wanting dental professionals to be paid more for NHS work, three-quarters (76%) thinking more dental professionals should be recruited, and nearly half (46%) supporting fluoridation as a measure for supporting good oral health.

Economic research commissioned by the Wrigley Oral Healthcare Programme last year showed that rolling out supervised toothbrushing programmes for children in targeted areas, expanding the coverage of water fluoridation schemes, and encouraging the public to chew sugar-free gum could together save the NHS over £50 million per year.[1] NHS patients could collectively save £95.9m a year.

Speaking on publication of the Oral Health Index on behalf of the Wrigley Oral Healthcare Programme, Dr Ben Atkins

NEWS BITES

Ultra runners go ‘the extra mile’ for Dentaid

Two ultra fundraisers are preparing to go the extra mile (and many more besides!) in support of Dentaid The Dental Charity. Rafina O’Brien, a dental hygienist from Yeovil, and final-year hygiene and therapy student George Jennings have signed up for Ultra Challenge Series events to help people experiencing homelessness, poverty and abuse to access life-changing dental care. n

Christie & Co appoints new Head of Dental

Specialist business property adviser, Christie & Co, has promoted Joel Mannix to the position of Head of Dental for the UK. In his new role, Joel will spearhead the brokerage side of the business, leading an award-winning UK-wide team of dental business advisors. The position was previously held by Paul Graham who was promoted to Managing Director of the company’s medical division in January 2024. n

Dentist Graham stokes to chair MPs Council

said: “Without regular dental check-ups, smaller and preventable oral health issues can easily turn into much larger problems that require urgent and lengthy treatments. This is leaving people in pain and resulting in them taking extended periods of time off work, too. The Oral Health Index’s findings have underscored the importance of addressing the crisis in NHS dentistry.

“A mix of investment in services and preventative programmes is needed, and we want to see the contribution that sugarfree chewing gum can make to good oral health reflected in national guidance.”

British Dental Association Chair Eddie Crouch said: “The collapse of NHS dentistry isn’t just hurting millions of patients, but the wider economy. Every time Ministers take a miserly approach to funding it hits other parts of their balance sheet. Not just the costs hitting our hospitals and GP surgeries, but the millions of lost hours in our workplaces.” n

Medical Protection Society (MPS) has announced the appointment of Graham Stokes as its next Chair of Council. Dental Protection is an important part of MPS and Graham will be the first dentist ever to hold this role leading the work of the wider organisation.

Graham has been a member of MPS Council since 2017. His tenure as Chair will start following MPS’s annual general meeting in June 2024. n

Join the Mouth Cancer 10K Awareness walk Registration is now open for the 19th Mouth Cancer 10K Awareness Walk, taking place in London’s Hyde Park on Saturday 21st September 2023. For more information, visit www.mouthcancerwalk.org. n

The NHS dental crisis – call on the ref!

Three years into my retirement from dentistry, my wife decided that I needed a hobby. One sunny day in 2022, she barged into my office and ‘suggested’ we go to an open afternoon at a croquet club a few miles away, in a vain attempt to prise me away from Dental Twitter. A couple of weeks before her intrusion into my office refuge, she had glimpsed one of my weekly iPhone screentime reports and almost screamed when she saw it was about 15 hours per day, thus confirming her assertion that I was obsessed with my mobile. Now, I had never for a microsecond considered playing croquet – for me, it was a ‘sport’ (was it ever a sport?) that was confined to genteel scenes from such classics as Alice in Wonderland , or period dramas like Brideshead Revisited . Perhaps I should have re-read Brideshead before I went to the croquet taster, for I’d completely forgotten that Sebastian Flyte actually broke his ankle during a croquet game. It was only after I took up the sport – and yes, it IS a serious sport – that I learned that croquet had once been described as ‘a nasty game played by nice people’.

Anyway, long story short, I am obsessed with Golf Croquet (the more popular form of the sport) and, back in October of 2023, I even took the Golf Croquet referee’s examination.

I failed. A couple of times during the practical test on the lawns, I forgot to mark the positions of the balls and, when a couple of my decisions were challenged by the examiner, I was unsure of myself and fell apart, rapidly changing my decision. Definitely not a very refereeee thing to do. Still, buoyed up by the fact that I passed the written exam (my theoretical knowledge apparently couldn’t be faulted), I decided to retake the practical test down in Bath, in late February.

I failed again, on EXACTLY the same faults as previously. I didn’t mark the position of a few balls AND I fell apart when I couldn’t work out the angle on a clearing shot (I was formally diagnosed with dyscalculia after encephalitis in 1992 but, basically, I’m rubbish at maths). Again, when challenged, my inveterate stammer took over and, in my head, I sounded like a cross between Porky Pig and Elmer Fudd (Bugs Bunny’s nemesis)

– “K…K…K…KILL THE WABBIT!

K…K…KILL THE WABBIT!” It took me an age to come to any decision on the lawn and, when I did deliver it, it was in an apologetic whisper.

At least at the last failure, I didn’t have the Bath Rugby Club crowd (the club’s home stadium is 300 yards-or-so away from the croquet club) cheering my every error on court. When the two delightful course organisers/examiners gently informed me of my miserable failure yet again – and also (nicely) told me not to darken their doorstep for another two years – they expressed

the opinion that I wasn’t assertive enough to be a referee. They were absolutely correct to fail me, of course. To be a referee in ANY sport, but particularly the evil game of croquet, you need to be completely confident in your decisions and, more importantly, your grasp of the situation confronting you.

One thing I DID learn from my two futile attempts at croquet refereeing, however, is that you must thoroughly assess a situation on the lawns in a reasonable amount of time and draw the right conclusion, decisively.

So, having taken a little time to assess the Government’s most recent and, frankly, outrageous and bizarre proposal to allay the demise of NHS dentistry, I’ve quickly come to the same conclusion that I would imagine every UK practitioner who has ever worked under the contract has come to: namely, that the ‘solution’ is a crock of the unspeakable.

Briefly, the Tory Government is planning to allow dentists from ‘abroad’ to work in the UK WITHOUT taking the Overseas Registration Examination (ORE). The examination was introduced many years ago in recognition of the fact that some overseas dental qualifications were not a direct equivalent to those awarded by UK universities. The General Dental Council itself states that, ‘The ORE tests the clinical skills and knowledge of dentists whose qualifications are not recognised in the UK.’ The Government’s idea is that overseas dentists will grab at the opportunity of registering in the UK and will fill the many vacancies currently open for general practice NHS dentists, without question.

The Government’s open consultation document states: ‘While it is completely appropriate that all dentists should have to demonstrate that they meet the high standards required to safely practise dentistry unsupervised in the UK, the government believes it should be possible for overseasqualified dentists to be able to

register to practise in some form before they have managed to achieve full registration with GDC.

‘This would provide an opportunity to bring dentists into the workforce more quickly so that they can contribute towards providing improved access to dental care for patients, as detailed in the dental plan.’

But as I pointed out to the Prime Minister a few weeks ago on X, what makes the Government think that dentists from overseas are going to stay in the health service once they have passed the ORE? These are bright people. They will also work out that they aren’t going to make a comfortable living under the current contract. They too will have to compromise on treatments if they can afford to provide them, exactly as do their UK-trained counterparts. I also suggested to Rishi Sunak that, instead of fast-tracking untested and potentially unsafe dentists to ‘save’ NHS dentistry, why not fund NHS dentistry properly? He never replied. Stephen Henderson, former head of the MDDUS dental division pointed out the practical difficulties associated with such a plan – underlining the fact that the Government just doesn’t understand the problem. He wrote in Dentistry : “The provisionally registered dentists are starting sight unseen without a baseline of competencies that will require perhaps a different and more intensive supervision, at least at the outset. This amount of supervision will necessarily impact upon the supervisor’s ability to deliver UDAs themselves because the supervision may well be direct – even more than the supervision of a UK foundation dentist.”

The General Dental Council says that while it fully supports the new possibilities provisional registration will open up, “The absolute priority will remain that patients and the public can be confident that the treatment they receive is provided by a dental professional who is properly trained and qualified and who meets

our standards.” But that’s a bold statement from a regulator that in 2019 said of dentists from outside the European Union who were being registered as dental therapists without taking the ORE or facing any practical examination of their clinical skills, the GDC’s paperwork assessment of dentist qualifications was ‘robust.’ After pressure on the GDC from the British Association of Dental Therapists, the BDA and a leading indemnity organisation, the GDC finally moved to close the loophole that allowed the registrations. Yet, in 2022, it was revealed that 46% of the candidates who failed the Overseas Registration Examination in January 2022 were already registered with the General Dental Council.

A quick look at the ORE results for Part 2 of the exam (which includes a manikin test and dealing with medical emergencies) held in November 2023, showed that 37% of candidates failed. Now, that says to me that the Government’s plan is flawed and unsafe, no matter how quickly a supervisor can spring into action while he or she is trying to keep their practice afloat by bashing out the UDAs.

Despite the GDC’s primary concern being patient safety, I don’t think, bearing in mind its past track record, that when the regulator is consulted in the near future, it will advise the Government against the frankly dangerous path it is currently careering down.

What we need is an independent body or individual who can assess the situation and make a prompt, sensible decision.

I know. How about a croquet referee? n

About the author ollie Jupes is the pseudonym of a former nHs dentist. He monitors dentistry on twitter X as @DentistGoneBadd

A-dec 300•CORE

A competitive solution that doesn’t betray A-dec quality. A-dec is thrilled to announce its latest promotion for the UK & Ireland - the A-dec 300 CORE package! This configuration is set to provide dentists with the ultimate combination of functionality and flexibility at a great price point.

• Fully Ambidextrous A-dec Chair

• Traditional Delivery System including; 3/1 Syringe, 2 x Midwest Outlets, Acteon Scaler

• 3-Position Assistant’s Arm including; 3/1 Syringe, HVE and SE, Standard Touchpad

• Tray Holder

• LED Light Scan the QR code or contact us for a full specification.

Leadership for dental practice managers

In the busy dental practice, I constantly find myself navigating through numerous challenges that come our way. My responsibilities tend to range from managing the clinical governance systems, maintaining practice policies, health and safety to human resources, finance management, tracking Key Performance Indicators, conflict resolution, data protection, and safeguarding… the list seems endless. Ensuring patients receive exceptional and safe care while creating a content and safe work environment for the team stands as a main priority for any manager.

However, I am not just the practice manager; I am the one organising and guiding our dental team to ensure that the vision of the principal dentist and the goals of the practice are being met as well as all of the above.

Interestingly, the literature on leadership in dentistry paints a different picture. It often portrays the practice manager as an administrative figure, busy with the routine tasks of paperwork, scheduling rotas, and ticking boxes.

Yet, in practice, this is often not the case, with the majority of the team looking to the practice manager for leadership.

As I juggle the ever-increasingly complex aspects of my role, it becomes evident that leadership is not confined to titles or status, and that leadership can be found within any member of a team.

Leadership traits include the ability to influence others, adaptability, a sense of responsibility, clear communication of vision, empathy, compassion, and providing support. Leadership is directing and influencing results, getting people to work together effectively to achieve a common goal.

While certain people in formal leadership roles may lack effective leadership skills, many others display leadership qualities despite not having formal authority. Trust and motivation stem from actions, not just words.

In the end, the role of a practice manager is not just about managing, it is about leading with a vision that goes beyond tickboxes and paperwork, creating a strong team within the dental practice.

Many practice managers start their careers as dental nurses, progressively moving into management roles. While they may possess extensive knowledge of various aspects of the dental practice, leading a team effectively requires a different set of skills and expertise.

The Care Quality Commission (CQC) places emphasis on the importance of a ‘well-led’ practice, and its inspection reports show that most failed inspections occur in this area. It is interesting to think that one of the leaders in the practice, ‘the manager’, does this

often without any kind of training in leadership.

In an interview, John Milne, the then Senior Dental Advisor for the CQC, stated that practice managers play a vital role and that empowering them with appropriate training is essential. Practices with empowered managers tend to face fewer problems. Areas that required more attention included safety measures (e.g. infection control, safeguarding vulnerable individuals, staff background checks) as well as leadership and management. Effective leadership is crucial in ensuring safety protocols are followed and implemented.

Leadership styles

There is no agreement on what the best leadership style is. Different situations call for different approaches, and there’s no one-size-fits-all.

Good leaders will switch between styles depending on the situation. Even if someone has a particular leadership style, it’s important to know when to adopt a different approach that might work better.

Using an ‘autocratic leadership’

Using a ‘transformational leadership’ style is great for achieving long-term goals, focusing on patient care, and environmental concerns. This kind of leadership is all about inspiring and motivating the team to bring out its best.

Dental teams would benefit from having a role model who can effectively communicate a positive vision of the future. Transformational leaders motivate and encourage their team to keep pushing forward.

Relationship between emotional intelligence and transformational leadership

Understanding emotions is key for dental practice managers to lead effectively. Emotional intelligence, first introduced by Goleman in 1995, is more than just understanding your own emotions. It involves recognising and understanding others’ emotions. Research has found a positive link between emotional intelligence and successful transformational leadership, particularly in navigating change. Leaders with emotional intelligence can connect with team members who have different ideas or resist change, building stronger relationships within the dental practice team. Emotional intelligence also helps in resolving conflicts and ensuring effective communication. Empathy is something that can be applied by leaders. This helps you understand other people’s viewpoints and helps build trust amongst your team. To manage teams and handle changes, leaders need self-awareness, team awareness, and organisational awareness. By incorporating emotional intelligence into leadership, managers can guide their teams toward the practice’s goals during times of change.

style can be good for making quick decisions, but it might get in the way of good teamwork. If there’s not enough communication and clarity when putting policies or changes into action, the team might not stick to the plan. An autocratic leadership style is where the leader has absolute power and decisions are made on their own ideas. They do not usually involve the team in any decision making. Similar to ‘bureaucratic leadership’, here it’s all about the team’s strict adherence to policies and procedures which, of course, is essential for areas like infection prevention control but not very effective in other areas of the practice. However, it is less effective when you need to manage a team through organisational change.

Dentistry is changing fast, and many practices are dealing with issues like recruitment, retention, managing patient expectations, and dealing with long wait times, as well as increasing environmental pressures.

To successfully guide the dental team through these changing times, it is important have clear goals that everyone on the team understands.

The role of dental practice managers has evolved quickly to meet the challenges of dental practice management. They not only represent the practice but also set an example for the team. To lead a sustainable practice, managers must be role models and leaders.

This raises an important question: Why is there not enough research on dental practice managers and their leadership? We need practice managers to be supported by their practices to go onto leadership courses if the practice really wants to survive these complex times in dentistry. n

About the author

Jeanine Buitenhoff ten cate has been working in dentistry since 2009, initially as a dental nurse. in 2015, she took on the role of practice manager. in 2017, Jeanine gained her CipD Level 5 Foundation Certificate in Human Resources and is currently nearing completion of an Msc in Healthcare Management.

EthOss® is a 100% synthetic bone graft material for dental implant surgery. With no risk of cross-contamination, EthOss® works with the body’s healing process by creating a calcium-rich environment and is completely absorbed.

What will the coming election mean for dentistry?

Statements made now mean very little. Who wins and what happens after the election is what matters

Although much is being said about a whole range of problems the government is facing, the reality is that the one thing politicians are focused on is winning the upcoming general election. For the rest of the population, what happens after the election is what matters, and that will certainly influence policy on dentistry – although there are also much bigger issues to resolve.

The similarities to 1997 are uncanny. After 13 years of Tory rule, the population was tired of the same old, same old and wanted a change, which Tony Blair seemed to offer. Just like now, the Tories had a chancellor who was mainly interested in getting the economy right but Ken Clarke was not popular with many on his side of the political divide, who wanted lower spending on public services, lower taxes, and an economy based on growth. In 1997, the thinking of the last Tory chancellor paid off, but not in time to save them at the election, and the incoming Labour administration benefitted.

It seems crazy that both major parties (only time will tell whether I should have used the word “both”!) have stated they want to reduce the burden of taxation (obviously a vote-winning statement) when everybody realises that all our public services, whether it be health, education, policing, potholes… (I could go on) are suffering from the same challenges: underfunding, workforce shortages, and stress in the existing workforce, combined with high public expectations.

There are ways to make all these services more efficient but it will take time and some innovative, and sometimes uncomfortable, thinking. There are a few obvious targets! The “non dom” status removal, touted by Labour as a way to fund many different areas, including dentistry, has now been hijacked by the Tory party. Money has been made available for levelling up but only a fraction of it has been spent. Money alone does not solve things; there is an underspend in NHS dentistry while the Government encourages people to attend at NHS practices by increasing NHS dental charges even further to reduce the NHS spend on dental services. This at a time when many are under growing cost-of-living pressures, while doing little to support practices that depend on the NHS for their survival. Perhaps this is deliberate?

As in other areas, there are opportunities in health. Why not introduce a levy on private health care providers in the secondary care sector to reimburse the NHS for the money and time spent training clinicians to which the private sector has made no contribution? The Government seems to have finally realised that it is cheaper

and clinically more effective to prevent disease, where possible, than to treat it. Dental health is, again, a case in point and as I write this we await the promised go ahead for a consultation on expanding the coverage of water fluoridation in the North East.

The number of cases of mumps, measles and rubella is again increasing, with vaccination centres being established in schools – but should this be necessary? In a couple of European countries, parents are not eligible for some child benefits or allowed to attend schools unless their children have been vaccinated. How would the public respond to that in the UK?

During my time on the Council of European CDOs, I was told that in one Scandinavian country, which only state funds children’s dental care, that if you have not taken your child to the dentist by the age of two, you receive a visit from social services! A nanny state or a government trying to do the right thing?

It is easy to say, “be more efficient,” but the reality is not so easy. The trade unions representing doctors and dentists find it difficult to live with the concept of a more diverse workforce. After the election, if Labour wins, we will find out whether they are willing to challenge the status quo. I sometimes see comments made on social media by doctors highlighting mistakes made by other members of the medical workforce but, during my life, I have seen mistakes made by all sorts of clinicians, including doctors and dentists – a tiny number compared to the many patient interactions. This is inevitable in the real world when dealing with complex situations. The response is not to try to make a professional point but to learn from mistakes and have a system where all health care workers are individually regulated.

Although much is currently being made of contract reform at the moment, the reality is that no incoming new administration will enter into drawn out contract reform that leads to a significant fall in income from NHS dental charges without a visible improvement in access and less damaging media coverage. The BDA has quite rightly raised the current difficulties in access for new patients but will have to move into a more constructive mode rather than just highlighting the problems. If there is a (currently) surprising outcome at the election then, based on the last nine years, the outlook for NHS dentistry is bleak indeed. n

the author

Rise of the Internet dental diagnosis

From the bizarre, and the ridiculous to the positively dangerous, online ‘dentistry’ has been blooming in popularity

As of January 2024, there were 5.35 billion internet users worldwide, which amounted to 66.2% of the global population. Of this total, 5.04 billion, or 62.3% of the world’s population, were social media users. 1

It is hard to get an exact number of those who are regularly performing dentistry on themselves. However, in February, polling by the British Dental Association (BDA) revealed that 82% of dentists are treating gruesome cases of DIY dentistry. 2

The internet and social media are part of our everyday lives. It is easy to understand why some people are turning to the internet for advice. The ongoing dental access crisis that has been building over the last few years, has left many desperate for dental advice wherever they can get it.

Why not get it at the touch of a phone screen?

Like a lot of the information that can be found on the internet, this advice may not be coming from a dental professional. At best, the advice may be useless. At worse, it could actually damage a patient’s teeth and gums.

what are the biggest internet issues?

Using the internet to impart information can have benefits. For example, you can reach a wide audience, it is quick, and relatively cheap.

However, despite sites such as YouTube trying a verification process to ensure that information is coming from a reputable source, some misinformation still slips through.

Reams of misinformation and wrong claims abound on the internet. You can visit sites such as TikTok to investigate all the ways people are putting their smiles in danger.

Influencers are recommending rubbing fruit like strawberries and lemons on their teeth constantly to whiten them. Filing their teeth with a nail file so they look straighter. Using nail glue to fix their loose teeth to the gums.

These examples are certain to send a shudder of horror through any dental professional when their patients admit to attempting them. These types of DIY dentistry can cause permanent damage to patients’ mouths.

More importantly, these practices can cause pain and be costly to correct, putting pressure on the dentist to perform miracles and undo the damage.

what can dental professionals do?

So, what can dental professionals do to help stamp out this problem? It’s not often our regular patients who are most at risk from these ‘quirky’ recommendations. Those who do not have regular access to dental care in the UK are the most likely to seek dental advice online.

An estimated 10 million people in the UK are currently waiting for a routine NHS dental appointment and 19 million appointments were missed during the pandemic, according to the British Dental Association. 3

These are staggering figures and are unlikely to be reducing any time soon. How do we reach out to warn those we don’t see in our dental practices?

We can reach out through our social media to promote better and correct dental advice. Using dental practice websites to put out relevant, safe information will also help stop the potentially permanent damage to teeth and gums.

Preventative care should always be at the forefront of all dental treatment and advice. If patients start using our recommended preventative measures to take care of their teeth, they are less likely to need as much complex dental treatment, leaving more appointment time for new patients.

In the meantime, we must encourage patients to book dental appointments as often as their dental professional recommends, and not skip these regular visits. n

References

1. Internet and social media users in the world 2024 | Statista

2. 8 in 10 dentists seeing cases of ‘DIY’ dentistry (bda.org)

3. the-great-british-oral-healthreport-2021.pdf (dentistry.co.uk)

About the author Karen Coates, oral Health Content specialist at the oral Health Foundation, and RDn

Why it’s better to fess up about fees

sarah ide, Dental Defence Union (DDU) dento-legal adviser explains that being open with patients about treatment costs can avoid misunderstandings and is an ethical requirement

According to a Healthwatch report from 2023, 15% of people avoid going to the dentist because of the costs of check-ups or treatment. With this in mind, it might be tempting for dental practices not to publicise their fees for fear of putting people off getting vital treatment or preventative advice.

However, in the DDU’s experience, it’s best to be upfront about the costs of treatment and the more information you provide, the less chance of misunderstandings later down the line. Clear communication can also help to prevent complaints. One DDU study of complaints involving members found dental fees, NHS exemptions and refunds were the fourth most common cause of complaints.

The GDC expects dental professionals to ‘give patients clear information about costs’, including a written and costed treatment plan and explanation of which treatments can be provided under the NHS and which privately.

It is also a GDC requirement to display your price list in the reception or waiting area and to give clear information on prices in your practice literature and on your practice website. ‘Patients should not have to ask for this information’ the GDC explains in Standard 2.4.

Complaints about fees can be difficult to resolve and if not well handled, they can result in a breakdown in trust because the patient feels they have been misled about the cost of their treatment. Patients may therefore believe they are entitled to a refund. And there is the potential for an allegation of dishonesty to be made against you.

tips on avoiding fee complaints

So, what can dental professionals do to avoid misunderstandings about treatment costs? These are our tips based on experience of helping DDU members:

• Set out services and charges in practice notices and on your website

• State whether you currently accept NHS patients and provide details of payment arrangements, such as whether patients are expected to pay for their treatment in advance or on completion

• If applicable, display the NHS dental charges leaflet and poster in your practice

• Provide a written treatment plan that includes costs and whether the patient has chosen to have some elements of treatment on a private basis and the charge. Retain a copy with the patient’s records

• Ensure patients are provided with all the fee options, including whether a treatment could be provided privately, or under the NHS

• Provide a ‘cooling off’ period before starting expensive or extensive elective procedures, so patients don’t feel rushed into a costly decision

• Advise patients in good time if further treatment may be required incurring possible additional costs. Obtain consent

for revised treatment plans and cost estimates, which should be in writing

• Make sure you and your staff understand the rules regarding patients’ entitlement to free treatment or help with NHS charges

• Do not raise patients’ expectations by advising them about their entitlement

to free treatment or assistance. It is a patient’s responsibility to make a claim and complete the relevant forms but you can direct them to the appropriate organisations who can provide help with NHS costs

If you are faced with a complaint about fees, the DDU or your own

About the author sarah ide, Dental Defence Union (DDU) dento-legal adviser.

dental defence organisation can support you in ensuring your response addresses the concerns raised.

The DDU’s website –www.theddu.com – has lots of helpful advice on dealing with complaints, including a free online learning module. n

For dry mouth – when just water is not enough

New

1 in 5 suffer from dry mouth, and water is usually the standard remedy. But for many people, water only provides brief relief. TePe’s new hydrating mouthwash and mouth gel ease the feeling of dry mouth, provides comfort, and protects teeth. We recommend the gentle, unflavoured products for those with a very dry mouth and mildly flavoured products for those with moderate problems.

TePe® Hydrating Mouthwash - TePe’s mouthwash moistens the mucosa and leaves a pleasant feeling in the mouth. Not only does it help with dry mouth, but the added 0.2 % fluoride also gives that extra protection against caries.

TePe® Hydrating Mouth Gel - TePe mouth gel gives immediate and long-lasting comfort*, moistens and soothes the oral mucosa and is convenient and easy to use whenever needed – great for on-the-go.

Available from dental wholesalers. Find out more at tepe.com.

Relating with colleagues – part one

In a two-part series, Dr philip Johnstone, Dentolegal Consultant and Cases Team Lead at Dental Protection, discusses areas which could negatively impact professional relationships and increase workplace stress

One of the most common examples of interactions between two professional colleagues is when making or accepting referrals, seeking second opinions, or liaising with other healthcare professionals. These interactions should always be conducted in a professional and courteous manner.

Referrals

Any correspondence, in the course of this relationship, should be written in the expectation that the contents could possibly be viewed by the patient, or by any professional colleague who is referred to in the text. Inappropriate remarks, particularly of a disparaging nature, are unprofessional and have the propensity to be seen by the individual referred to. This could cause distress and may precipitate a complaint.

It is good practice, when a patient is referred to a second dentist, for it to be made clear at the outset what the scope of the referral is and whether or not it is anticipated that the patient will be referred back to the original dentist when the relevant episode of treatment has been completed.

Problems can arise if the second dentist accepts the patient for their future care when the original dentist was expecting the patient to be referred back. There may be perfectly sound reasons why this might happen, not least the patient’s stated wishes, but it is still preferable that this process is transparent. In such circumstances, the patient’s decision should be communicated back to the original dentist rather than allowing them to discover indirectly that the patient will not be returning.

Avoiding any perception that the patient has been unfairly influenced to change dentist will help maintain a good professional relationship between colleagues.

second opinions

A dentist may be asked to provide an opinion on a patient’s current clinical position, treatment options, and may be asked to document their findings.

The dentist’s professional responsibility extends only so far as providing a patient with a thorough and accurate appraisal of their dental status at the time of examination and documenting those findings. It does not extend to providing written reports, at the request of either the patient or a third party, at the time or subsequently.

When agreeing to provide a second opinion the best interests of the patient must remain the dentist’s primary concern, and a factual and balanced assessment based on their clinical findings, together with a careful and full explanation of any problems, should be sufficient.

The dentist should refrain from offering any comments or opinions with respect to advice and/or treatment the patient might have received elsewhere.

Criticism of colleagues and of any treatment provided by them, expressed directly to a patient, should be avoided. Not only does it reduce patients’ confidence in the profession as a whole, but it can also cause unnecessary upset and stress for the colleague who is the recipient of such criticism. In general, it is wise to avoid being drawn into criticism of another dentist, no matter how much a patient may pressurise you.

In such circumstances it is reasonable to advise the patient that any concerns should be raised with the previous dentist. You can only comment on what you find at the time of your assessment and not on what happened previously.

It is essential that patients can benefit from second opinions when these are required, and dentists should feel able to seek colleagues’ opinions without the worry that it may lead to criticism of the clinical care they provided.

Colleagues asked to provide second opinions should see it as an opportunity to use their skills and knowledge to enable the patient to make the best possible treatment choices. Differing clinical views are an inevitable part of practice and should be discussed with sensitivity and respect.

handling criticism

A familiar and not entirely unnatural reaction to criticism is a demand that the colleague who has made the criticism should be sued for defamation, even though there may be other resolution options available.

However, defamation law is notoriously complex and legal action in this area is costly and unpredictable. Legal action may also be counterproductive and attract more attention and adverse publicity than the original article or comment.

The test is set out in the Defamation Act 2013 and it is now a requirement, before a statement is to be considered as being defamatory, for (in the case of an individual) the statement concerned to have ‘caused or be likely to cause serious harm to the Claimant’s reputation or (for a business that trades for profit) for the statement complained of to have caused or be likely to cause the Claimant serious financial loss’.

In relation to an individual, a Claimant must demonstrate that the statement complained of ‘has caused or is likely is to cause serious harm to their reputation’. Generally speaking, they are required to do so by adducing substantive evidence

of the harm or likelihood of harm. However, the Court can be willing to infer harm in certain circumstances (where, for example, the allegation is particularly serious and/or where it has been widely distributed and/ or where the recipients are of particular importance/significance to the Claimant).

In relation to a business (the Practice), a Court is likely to expect to be provided with substantive evidence of financial loss that has been caused by the specific statements complained of. It is therefore important that these situations are considered carefully as there may be other more appropriate routes to resolution, such as internal Practice mechanisms of handling concerns. The second part of this series will look at how to deal with differences of opinion, conflicts, and competition. n

About the author Dr philip Johnstone, Dentolegal Consultant and Cases team lead at Dental protection.

A custom fit

We know one size doesn’t fit all. Our membership is tailored to your individual circumstances and practice, meaning you only pay for the work you do.

R A Medical celebrates 30 years

As R A Medical surpasses three decades in the business of dental and medical inhalation sedation equipment, we caught up with CEO Janet Pickles on a recent edition of The Probe Dental Podcast

30 years in (family) business

We started as, and remain, a family business. My husband, Chris, came home one night in February, 1994, and said, “Darling, I’ve had an idea.” He had worked at Cyprane, and was facing redundancy at Ohmeda. We made the right decision in starting R A Medical there and then at the dining table, as Ohmeda would close its doors the next year, in 1995. Over the years, we steadily built up a large customer base of NHS Trusts and High Street dentistry to become the market leader for inhalation sedation equipment in the UK and Ireland. Our staff level has grown to meet demands, but I’m pleased to say that our turnover is low, which adds to the family feel of our business. In fact, our office manager has been with us for 29 of the 30 years, starting with us during our first year. Today, our four sons work with us and – who knows? – perhaps our five grandchildren will one day join the business.

We do our best to offer a courteous level of service and it is this, combined with great attention to detail, that creates our winning formula, which results in our customers remaining with us year upon year.

Old and new

Our knowledge and experience goes back to the 1960s and the days of Cyprane, a which manufactured the Quantiflex Monitored Dial Mixer (MDM) under license from Fraser Sweatman. The MDM remains the most popular product today, and is maintained by our service department, although the Quantiflex has been removed from the product name.

We do also look towards the future. We offer a variety of digital machines, and we’re always looking for new products. However, we make sure any new products we adopt are right for the marketplace through some intensive testing. We don’t just take anything on!

Training is also a vital factor. The future of the company, I believe, is in education and training, along with helping to identify any suitable new product that might come along. Maintenance will always be ongoing, and we are currently in the process of interviewing to boost our engineering team because it is vital that we go out to our customers’ sites. You cannot do these things remotely. You’ve got to be there. The engineers must gain a holistic view

of the equipment in practice. This also gives dental professionals the chance to ask questions. n

Listen to the full conversation with Janet Pickle on t he Probe Dental Podcast, available here or by scanning the Q r code: tinyurl.com/rAMedical30

Scan to listen >>>

Introducing the new Super Smellie pens; A safe way to add a great scent to your unscented nasal masks.

Prolonging the lifetime of essential decontamination equipment

High-quality decontamination equipment, including autoclaves, is essential for all dental practices to optimise their health and safety standards. Maximising the longevity of this equipment by keeping it running smoothly affords a number of benefits –efficient daily routines, uninterrupted staff workflows and optimised patient care. The practice also benefits financially with reduced need for equipment repairs and replacements. Both in-house protocols by practice staff and professional servicing support are essential.

Handpiece oiling

One of the most common reasons for the malfunction of autoclaves is the result of handpiece oil. Lubricant can be expelled from the handpiece during the sterilisation process within the autoclave, which may build-up in the chamber and associated parts, and potentially damage the equipment or cause it to function ineffectively. To prevent issues, it is important that the dental team follow the handpiece manufacturer’s care instructions carefully, removing excess oil before sterilisation. This will also help to prolong the life of the handpieces themselves.

Water quality

Another aspect that has a major impact on the effectiveness of your autoclave is the water it uses. Approximately 60% of the UK has hard water, which means that the tap water contains a high concentration of minerals like calcium and magnesium. When the water evaporates, it deposits substances like calcium carbonate, which

is more commonly known as limescale.

Just as it can mark taps, sinks and other appliances, limescale reduces the efficacy of your autoclave as well. If allowed to build up in the equipment, it can stop the autoclave from working properly and lead to malfunctions or breakdowns – which will cost you in time and money. This is why it is so important to use a different water source. Reverse osmosis (RO) systems offer a highly effective alternative for dental practices in that they deliver water free from minerals and microorganisms to your autoclave. They are reliable, cost-effective and create less plastic waste than using bottled water, all the while protecting your autoclave from internal damage.

everyday maintenance

There are various steps that the dental team can take on a daily, weekly and monthly basis to ensure their autoclave is effectively maintained. For example, ensuring that reusable instruments are effectively cleaned before sterilisation can prevent dirt and debris from entering the autoclave and risking damage. Manual cleaning is acceptable, although HTM 01-05 best practice guidelines recommend, and SDCEP mandates , using a washer disinfector, as this provides a validated and automated cleaning process prior to sterilisation. It is equally as important to load the autoclave correctly. Overloading trays or poorly positioned instruments, for instance, can compromise sterilisation. With regards to the equipment itself, door seals, chamber faces, gaskets and filters should all be regularly checked and cleaned. In doing this frequently, the dental

team can avoid the build-up of oil, dust, dirt and other particles, which could otherwise stop the equipment from running efficiently.

testing, validation and certification

Regular testing is crucial to make sure that autoclaves continue to operate effectively and efficiently. For example, a daily automatic control test with the correct Helix test is a process challenge device that proves the vacuum cycle has performed correctly. The same equipment will require weekly air leakage tests to ensure there are no pump malfunctions or air leaks in the door seal or pipe fittings.

Frequent maintenance and servicing are essential for all autoclaves and should follow manufacturers’ instructions –protecting the equipment from breakdown, optimising patient and staff safety, and ensuring compliance with the regulations. The same document also recommends validation testing at the time of installation and thereafter on a daily, weekly, quarterly and annual basis to ensure that the equipment continues to operate effectively.

All of this means that appropriate practice staff must receive adequate training and support to ensure that they can competently and confidently carry out the necessary checks, testing and maintenance for their decontamination equipment. The annual examination as required by the Pressure Systems Safety Regulations (PSSR) must be completed and provided by an appropriately trained engineer. Members of the dental team must have up-to-date and effective CPD training to be able to fill such a role.

trusted support

Whether you have questions about how to prolong the life of your autoclave and WD, or you need technical support and testing that you can depend on, Eschmann is a decontamination expert. The comprehensive Care & Cover servicing and maintenance package provides everything from Annual Validation and Pressure Vessel Certification (PSSR) to annual service and software upgrades, unlimited breakdown cover, unlimited Eschmann parts and labour, and Enhanced CPD user training. Maxine Northall-Rollins from Scott Arms Dental Practice, said: “We have had some of our Little Sister autoclaves for well over 10 years… protected with the Eschmann Care & Cover servicing and maintenance package. It’s good to have the backup, knowing that someone will find and fix any small issues before they become bigger problems. All the engineers that visit have been absolutely brilliant, too. I would unreservedly recommend Eschmann products and the Care & Cover service package to others.”

For more information on the highly effective and affordable range of infection control products from Eschmann, please visit eschmann.co.uk or call 01903 753322 n

about the author

Nicky Varney, Senior Marketing Manager at eschmann.

Missed appointments are missed opportunities

All dental teams will be only too familiar with the dreaded no-shows. Of course, there will always be circumstances outside of a patient’s control that genuinely render them unable to attend last-minute. That can’t be helped, and they should simply be contacted to reschedule. However, in many situations, this is not the reason for missed appointments and there are things that the practice can do to avoid them.

Why the disappearing act?

Unfortunately, affordability and anxiety are two of the biggest barriers to attending dental appointments, especially among people from lower socio-economic areas of the UK. Simply forgetting they have an appointment is another reason why many people don’t show-up, highlighting the importance of a reminder system.

Dental fear and anxiety are further drivers of no-shows. It’s thought that over half of all UK adults experience fear of the dentist, with approximately 17% of the population so scared that they avoid the dental practice altogether. And finally, dental education – or a lack of – may also be contributing to the problem. If patients don’t understand the importance of routine care, then they will be less motivated to keep their appointments.

the impact

There are many consequences of missed dental appointments. For example, they

cause both operational and economic impacts for the practice. With regards to the former, a no-show constitutes a waste of surgery and professional time. This is especially frustrating given the enormous demand for dental care that services are struggling to meet across the UK. It can be difficult if not impossible to fill these lastminute slots with new patients, so there really isn’t anything that professionals can do at this point in most scenarios.

The economic impact on the practice must also be considered. Not only will the business lose revenue from loss of the appointment and/or treatment fees, but it will be running that particular surgery at a loss for the allotted time. In addition to the utility bills of keeping lights and heating/air conditioning on, the cost of the salaried dental nurse (or even perhaps locum staff) will be covered at the expense of the practice.

However, the inconvenience to the practice is just the tip of the iceberg – if those patients aren’t attending, then they are missing out on essential dental checkups. Treatment times are lengthened and the likelihood of dental emergencies for those patients who fail to show increases too. Without regular screenings, they are also more at risk of oral health problems developing, from caries to gingival disease. Plus, perhaps just as importantly, the wasted appointments deprive other patients of dental care, which does nothing to improve the oral health of the nation.

predicting and preventing no-shows

If the dental team can assess patients for the risk of not showing up to appointments, then this could help to put safeguards in place. For instance, one of the predictive features for future no-shows is a history of the same. The literature suggests using data from the last 10 appointments, for example, to calculate the probability that a patient will attend in the future. Of course, this is only feasible if you have access to historic data for the patient. A high lead time is another common predictor of future no-shows, with appointments booked far in advance less likely to be kept.

So, what can you do? The first port of call is patient education – if they appreciate the importance of their oral hygiene and the health advantages of regular check-ups, then they are far more likely to prioritise their visit.

As already mentioned, an automated reminder system can also be useful in prompting patients a short period of time prior to their scheduled appointment. Many practice management software solutions offer this service via different communication channels to meet patients’ preferences, from text message to email. Another idea is to charge a deposit or a holding sum to reserve an appointment. The money can be taken off the consultation or treatment fees so it doesn’t cost the patient any extra, but this is a good way to get patients to commit to their appointments

and motivate them to attend – until their love of oral health takes over, of course! For technology that facilitates all of this and more, discover AeronaDental dental practice management software (DPMS). This innovative cloud-based software is designed to save your practice time and money in a vast number of ways. One of these is within its Patient Portal feature, which allows you to charge a deposit with every scheduled visit and in turn reduce no-shows. With invaluable business analytics and performance measurement tools available too, AeronaDental DPMS will be instrumental to your practice growth and success.

No more no-shows

Missed appointments are missed opportunities – both for the practice and for patients. Although it’s impossible to prevent every single one, minimising the risk of no-shows will benefit everyone involved. For more information, please visit aerona.com n

about the author

Mark Garner, General Manager, areona Dental.

Ready to grow

Ambition is the essential driving force within each dental professional. It fuels people through years of education, the trials and tribulations of a first clinical role, and even opening a first practice of their own. Without it, a career can feel like it reaches a standstill.

It feels as though a discussion about growth and aspirations can’t be had without mentioning ‘leaps of faith’. These are the moments where clinicians plunge into the professional unknown, relying on their experience and intuition to find success.

One of the biggest and most terrifying jumps is the decision to expand into new areas, potentially with the opportunity to open another practice.

Embrace the jump

There is so much to consider when looking to develop into new locations. First, it’s important to know why you’re doing it. The benefits can be extensive. Opening a new practice may allow you to reach patients in a different geographic area, which can increase the breadth of care that you provide. With nationwide complications surrounding access to NHS care, there are currently many potential patients in dire need of a dental appointment.

You may wish to expand into another dental field. A new practice could provide specialty care, focusing solely on paediatric, orthodontic or dental implant treatments, for example. This would again expand your patient base, but may also help build

your reputation within dental circles as an authoritative figure for referrals and specialist care.

Opening a new practice creates opportunities to provide a greater number of people with incredible oral healthcare. However, whilst the professional services and patients that receive them must always come first, a private dental practice must be viewed as a business, in the same way a shop or restaurant would be. Careful management of the financial challenges that come with opening a second practice – think the acquisition of a building, refurbishment, increased wages and general upkeep – is essential to success.

Spinning plates

Long-term costs like salaries for a new dental team may be obvious, but it’s vital to track other ongoing expenses such as new clinical systems, handpieces, potential advertising and more general consumables. Looking to your current practice and assessing its financial commitments may be key. Closely monitoring and managing the cash flow will prepare you for what to expect from an expansion, and also help you identify any new areas of increased costs as and when they arise.

Continuing to track the cash flow and KPIs when the new practice has opened is essential. It will provide great insight into the balance of expenses and incomings, and may offer opportunities for tactical improvements. For example, you may see that an associate dentist’s time to provide more

complex treatments is taken up by routine oral hygiene visits, which could be managed by a dental hygienist. Hiring a new member of the team could then expand the care you can provide, whilst maintaining the high level of care you offer your patients. Not only could your practice see more patients, and provide better all-round care, but it may also boost the financial incomings too.

In the modern age, the ability to track performance and expenses will likely be completed digitally. Ciphering through the numbers can be made easy with a platform that allows you to clearly examine the most relevant KPIs and identify the potential for growth – it’s unlikely that many dentists will be ‘business mogul’ first, clinician second, so a software that compensates and completes the hard yards first is essential.

Control from anywhere

Further on the ‘leap of faith’ sentiment, there are not only concerns around financial and clinical success, but the overall management of such a large operation. For many it’ll be the first time overseeing multiple teams, with increasing needs and a larger-than-ever patient base. Finding a scalable platform to help effectively manage the business can be extremely beneficial.

The solution could be a cloud-based platform. Using this digital approach negates the need for additional IT infrastructure. Instead, business elements can be managed by software that works with your current systems, without restricting their performance as you grow.

To make the transition into expansion straightforward, clinicians could call on the help of Sensei Cloud, the Softwareas-a-Service platform from Sensei, the practice and patient management brand from Carestream Dental. The cloud-based platform is accessible anywhere, at any time, with real time dashboards that display performance and financial metrics. Only the relevant information is shown, negating the trouble of sifting through endless data for effective results. Plus, revenue cycle management allows clinicians to streamline billing, NHS claims and revenue tracking, for business growth that excels.

Opening a new practice is one of the largest leaps of faith a dental professional may ever take. With experience, intuition, ambition and the ability to carefully manage business growth, it may be a jump worth making.

For more information on Sensei Cloud visit https://gosensei.co.uk/ For the latest news and updates, follow us on Facebook and Instagram @carestreamdental.uk 

About the author Nina Gilbert, Senior Global Product Line Manager at Carestream Dental.

Dentistry: caring for patients

Dental professionals want the best for their patients –it’s a source of great pride for many that their work does so much to improve people’s lives. Clinicians know that their patients benefit from having their full attention, and they work hard to maintain a good rapport to promote the most excellent care possible.

Recent research, as well as anecdotal reports, describe patients continuing to experience higher levels of anxiety about dental visits since the pandemic. Now more than ever, patients may be suffering from complex needs that require time and attentiveness to unpack. If their dental ailment is related to mental illness, patient anxiety can be particularly intense. General levels of social anxiety have increased in recent years, affecting core communication skills. Changes in habits and culture around interaction since the pandemic has led to many people finding in-person communication more socially threatening.

Social anxiety may lead to mistrust, and may influence a patient’s levels of frustration if they struggle to articulate their needs. Some patients may have some difficulty in understanding the wider context of ongoing pressures on dentistry. Anger and irritability can be misdirected, and practitioners can suffer. In extreme cases this makes building an effective clinician/ patient relationship impossible. In a 2023 Dental Protection survey of over 1,300 UK dental professionals, 57 per cent said they had experienced or witnessed verbal or physical abuse from patients or their relatives.

the importance of rapport in the dental healthcare profession Rapport relates to a collaborative approach between a patient and clinician. It is characterised by an assumption of equality rather than authority. Effective rapport has been shown to improve patient compliance

with treatment, clinical outcomes and patient satisfaction. Relationship and rapport-building is a vital part of addressing anxiety, and is key in promoting a mutually positive experience which emotionally benefits both clinician and patient.

Accurate assessment of the care needs of an individual entails having the skills as well as the mental and physical capacity to listen. Often dental professionals will require input from patients’ families or carers to deliver the best support. Clinicians may well need to recognise emotional cues and exercise empathy in order to negotiate self-care management, recommend behaviours, or explain effective application of certain treatments.

Communication doesn’t always have to be lengthy to be useful, but sometimes getting to grips with the nuances of issues around care does take time. Noncompliance with recommended care is very common, especially in patients experiencing chronic conditions affecting their mental, neurological and overall physical health. It can take time to build trust, and explain the whys and wherefores of some treatments. Educating some patients and families on optimal care can require patience and empathy.

Strategies for better results

Developing a rapport can remind patients that dental professionals are human too. Dentists have also felt the pressures of adapting to the complexities of post-Covid life.

A recent survey showed that 68% of dental professionals felt that their stress and anxiety levels had increased since the pandemic.

Building trust is difficult if you’re stressed yourself. You might be genuinely friendly and love working with patients, but if you’re feeling anxious, it can be hard to hide, and the burden of masking symptoms of mental ill-health just adds to stress. Many practitioners feel timepressured, and feel overwhelmed

by their workload, which not only impacts on interaction with patients, it also affects clinical outcomes.

It’s a cliché, but often said that people take better care of others when they have cared for themselves. The evidence to back this up is clear. Clinician stress is linked with mistakes or tentativeness around patient care. Conversely, professionals who feel more mentally resilient to stressors are more able to relate to others, and are effective in the care of patients.

Operational efficiency and patient care

With some stressors, a practical problem-solving approach can be useful. If clinicians are overwhelmed with paperwork, they have less time for observation and communication.

Patient notes are an essential element of care, and keeping accurate as well as detailed records is a key ingredient in developing a trusting relationship, as well as a collaborative approach to treatment.

It’s an exciting time for systems that streamline processes. Kiroku is a great example of a system powered by AI to simplify paperwork, enabling clinicians to spend more of their valuable time interacting with patients. Kiroku’s intuitive, and highly intelligent system means it learns as you work, and enables clinicians to complete notes 60% faster. Built by dentists, Kiroku is focused on genuine time-saving strategies within clinical conditions. Kiroku Docs translates your notes into any number of customisable documents – including letters, referrals and consent forms – all at the touch of a button. Document templates can be configured to convert complex clinical notes into patient-friendly information and instructions as easily as it converts notes into relevant information for specialists or insurers.

Providing the best ongoing care for patients, whatever the circumstances, is a matter of professional pride for clinicians. Streamlining processes, taking back time to look after your patients as well as yourself, really is good for everybody.

To find out more about Kiroku, or to start your free trial, please visit trykiroku.com n

about the author Hannah Burrow, ceO of

How I did it – A ‘crowning’ achievement

Dr Mehdi Yazdi purchased Crown Bank Dental in Cheshire in 2017, which has since developed into a flourishing business. He takes a look back on how it all began

Iknew that I wanted to own my practice and I looked across the country for the best location. There were two crucial elements that I was looking for – the chance to design the practice and the opportunity to grow it in my own way. The goal was not to buy the finished article and just work within what was there.

A premises in a picturesque market town in Cheshire was found that lent itself well to what I wanted. It could be operational straightaway but there was huge potential for growth and development, with space in the attic, for example. The acquisition was completed.

The building was full of character in its own right, so our intention was to complement the existing features and enhance them with renovations, without deviating too far from the original feel of the site. Located in a conservation area, we had to submit planning permission for any external changes such as the outdoor signage and lighting, remaining mindful of what the requirements were to be in keeping with the surrounding area. The initial plans required some alterations, but permission was later granted to proceed.

The refurbishment of the practice was carried out in stages, with consideration for the business’ changing financial situation. All work was also completed while the practice was open, so decisions were made to ensure downtime was minimised. The first builder we approached wasn’t quite the right fit, so we ended up working with our practice manager’s husband. He and his team had a good knowledge and understanding of our needs as a dental practice, which proved vital. We also worked with an architect to design and create the best spaces for the building.

Despite this, a big challenge was maintaining the patient experience with building work going on in the background. We did decide to delay

any treatment that required sedation during this time – the last things anxious patients need are background noise and a change in routine. There were several jokes made about whether the drilling was from the dentists or the builders on major construction days, but this was all in good humour thanks to understanding patients.

A lot of the building work went into moving the staff room into the attic so that the old space could be converted into a new surgery and consultation area. The upstairs area was completed with a staff changing area and kitchen facilities, before attention moved down to the surgery. This was intended to ensure minimal disruption to, and maximum comfort for, the team. It also meant we had to be mindful of where we could put stock and were often moving stationary around in the evenings ready for the next day’s tasks.

The other challenge I faced was going completely over budget! We had a lot of wiring and tubing that needed to be replaced before we could move it, but the old building made it more complicated than initially anticipated. The increased costs were therefore unavoidable and factored into the longterm plan accordingly.

When the time came to finally furnish the new surgery, both staff and patients were excited to see the final result. I had chosen Stern Weber dental chairs, because I was impressed by their functionality and liked how they would fit into the space we had created. It was important to me that we had uniform equipment across the surgeries, as this allows both dentists and dental nurses to be comfortable while working in any of the rooms. They could build familiarity with the equipment and know that everything works in the same way should they need to see patients in a different surgery.

and installation, they have remained an important part of your business development team. Indeed, I am currently looking to build a second practice in a neighbouring town, for which I am absolutely working with RPA Dental once again! The plan is for this to become a satellite practice to provide routine care and hygiene, with the original site focusing on more advanced treatment plans and referrals. It has been quite the journey so far, but we still have more to come, which is

exciting. I have learnt that it’s crucial to work with people who are comfortable with the nuances of dentistry. They need to understand your vision and how to make it happen within the specific regulations of the industry before they can successfully guide you. With a good team around you and a passion for delivering excellent patient care, you are far less likely to go wrong!

For more detail about RPA Dental please visit www.dental-equipment.co.uk, call 08000 933 975 or email info@rpadental.net 

I approached RPA Dental for the supply, installation and support of the Stern Weber dental chairs. I really believe in creating strong and longlasting relationships with service providers who support your practice, and that’s exactly what we got with RPA Dental. They really had our best interests at heart from the start, going above and beyond to help us build the high-quality practice we envisioned. Ever since the initial product selection

CALCIUM SULPHATE BASED BONE GRAFT

When does a glove become infectious?

Healthcare waste in the dental practice is helpfully segmented into colour coded waste streams, which is meant to make the identification of the correct waste stream for various products an easy task. Yet there can often be a sense of the lines blurring. What waste stream do these used gloves go in? I’m throwing out expired PPE, how should it be disposed of?

What is the best way to abide by the practice’s waste disposal responsibilities whilst maintaining a green approach? A big question that plagues many is: when does waste become infectious? Luckily, disposal strategies do not have to be overly complex, and questions such as these can have clear answers.

consulting the guidelines

The dental practice must look to a variety of sources for their waste management guidance. Keeping up with each is essential as part of your legislative responsibilities, and can help to demystify some waste management grey areas.

The Care Quality Commission expands upon The Health and Social Care Act 2008 (Regulated Activities) Regulations 2014 – which itself states that all premises and equipment used by the service provider must be clean – only by saying that domestic, clinical, and hazardous waste must be managed in line with current legislation and guidance. If this is unmet, they cannot prosecute but do have the power to take regulatory action.

They refer all dental professionals to the Healthcare Technical Memorandum (HTM) 07-01: Safe and Sustainable Management of Healthcare Waste as a best practice framework for healthcare waste management. The document itself recognises some of the previous confusion surrounding infectious waste: it notes that key changes have been made to avoid offensive waste from being incorrectly classified as infectious, and in turn improve the effectiveness of waste management systems.

Luckily, this makes it the document to turn to when needing clarification on infectious waste.

Drawing up definitions

Initially, the HTM 07-01 directs clinicians elsewhere once again, citing Annex III of Directive 2008/98/EC ‘Waste Framework Directive’ for the infectious definition. Here, infectious is used to describe ‘substances and preparations containing viable microorganisms or their toxins which are known or reliably believed to cause disease’, and so the waste we are considering would be contaminated by such microorganisms.

It begs the question, should every potential piece of infectious waste be tested before it enters a waste stream?

The answer is a definite no, and HTM 07-01 reinforces this. It is unfeasible, and there are ways to manage dental waste with your own clinical discretion.

Offensive waste is considered as such due to an unpleasant odour and appearance, but may not always appear as such – take single-use PPE for example. It will become infectious when it comes into contact with a patient who is requiring or currently receiving treatment for an infection or is carrying a transmissible disease. If the patient has a history of known infection, like a bloodborne virus or C. difficile, they may also lead to infectious waste. If the waste item is a culture, stock, or sample of infectious agents from laboratory work or has been in contact with such, it is also classified as infectious.

An item can still be designated as purely offensive waste if it has been contaminated by a non-infectious patient’s bodily fluids. Healthcarespecific items would include single-use instruments like a tongue depressor and non-infectious PPE. When there is no good reason to believe the item is hazardous or infectious, it should simply be placed in the offensive waste stream.

Greater impacts

Ensuring every member of the dental practice is aware of details such as this is essential for several reasons. Not only are dental professionals held to these standards by regulation, but the appropriate actions can also help the world around us.

The NHS clinical waste strategy, published in March 2023, is key to HTM 07-01. By following the guidance, the strategy aims to put the NHS on its way to meeting its net zero ambitions by 2040.

Central to all of this is maintaining a 20-20-60 waste split, whereby 20% is sent to incineration (yellow bag), 20% is simply infectious and therefore can be treated before disposal (orange bag), and 60% is offensive waste (yellow and black bag).

Ensuring your practice can manage each waste stream is essential. Initial Medical provides practices with a range of clinical waste solutions, each colour coded for clear disposal of waste items. This includes our new sustainable Griff Pac rigid containers. These ultra-lightweight fold flat clinical

waste containers are made from corrugated polypropylene and are resistant to liquid contamination. They are suitable for the disposal of a wide range of waste including soft waste, aspirator tips, cannulas, and suction tubing. Initial Medical can also provide practices with simple-to-understand colour code posters, to help every member of the team quickly identify the requirements for each waste stream. Waste management doesn’t have to be unclear and inefficient. With the help of a waste management service, and by referring to the appropriate legislation, differentiating between infectious and offensive waste is easier in everyday workflows. To find out more, get in touch at 0808 304 7411 or visit the website today www.initialmedical.co.uk n

about the author rebecca Waters, category Manager at initial Medical.

The bots are back – and here to stay

It has been more than 10 years since Japan unveiled the now famous robot dental patient for students to practise their skills on, known as Pedia_Roid. The latest generation of the technology simulates a child’s response to dental pain during treatment – complete with eye rolls and screaming – creating a hyper-realistic environment in which professionals can learn. Comparisons to Chucky aside, the patient robot is having a significant impact on the dental education of the future. But that is not the only area in which robotics is being successfully utilised. I was interested to learn that substantial new investment was recently acquired by a US company working on robot-assisted dental implant surgery. The technology appears to be one of the most advanced of its kind, having already been cleared by the FDA as a robotic navigational system

supporting planning and intraoperative stages of implant surgery.

Though not a robot presented in the same way as the aforementioned humanoid, this is representative of the AI-driven technology that is becoming more common throughout the global dental professional. The benefits of robotic intervention and support are multiple, ensuring their place in modern dentistry. Indeed, studies already show

that robot-assisted implant placement is more accurate than surgery performed with static navigation.

We are no strangers to robotics in endodontics either, though this is a field with scope for substantial development yet. For example, microscopic technology is often integral for successful outcomes. Micro-robotic tools are also commonly used to enable highly precise and minimally invasive endodontic treatment.

Initial steps have been taken in other areas of robot-assisted endodontics, though further research and technological advancement is needed. For instance, an endodontic ‘vending machine’ that provides the necessary instruments during root canal treatment has been reported; although, again, more study is required before such machines are commonplace in the dental surgery!

I am often drawn back to this subject whenever a new break-through technology is developed or announcement made. This AI-assisted equipment is very much the future of dentistry and we should all remain abreast of what’s happening at the cutting-edge, even if the technology is not yet for general consumption. Do I think robots will take over the world and replace dentists? No, I don’t. But I am confident that they will play a much bigger role in the dental care provided to patients in the coming years. n

about the author endocare, led by Dr Michael Sultan, is one of the UK’s most trusted Specialist endodontist practices.

Tokuyama in a sphere of their own!

Tokuyama are technological pioneers in the field of light-cured sub-microscopic spherical filler particles, which has resulted in composite restorations of outstanding aesthetics, reliability and user-friendliness. They are the only composite manufacturer to use patented spherical filler particles within their materials. Each variant utilising spherical particles of different diameters to maximise their optical and physical properties for the desired indication. In addition to optimised optical properties resulting in enhanced aesthetic restorations, Tokuyama’s spherical filler particles offer other significant advantages compared with the irregular shaped filler particles used by all other manufacturers. They are quicker and easier to pack into nooks and crannies, reducing the risk of voids; easier to sculpt and carve; and have a much smoother surface finish which has a natural high lustre that requires minimal if any polishing.

Tokuyama’s unique spherical filler particles produce the highest gloss in the shortest possible time. Their fillers are not easy to dislodge and create a very smooth surface that is highly resistant to abrasion. Their initial lustre lasts and lasts.

Consequently, Tokuyama spherical fillers ensure smooth restorations that stay smooth; diffuse and transmit light for optimal shading and aesthetics; produce mirror reflection and have high abrasion resistance that ensures a long-lasting polish, lustre, durability and colour stability; and optimum optical shading.

Spherical fillers – a pearl of an idea!

Utilising patented Sol-Gel Technology Tokuyama “grow” their spherical filler particles to a diameter that is optimised for their desired colour adaptation and outstanding physical properties.

All other manufacturers simply grind their glass materials until the individual filler particles are within a desired, but random size range. Their filler particles are all irregular in size and shape, as seen under a scanning electron microscope.

What does this mean for the clinician and patient?

Mirror reflection and Lustre

With their identically shaped spherical filler particles, Tokuyama composites reflect light just like natural enamel and have a natural lustre. Unlike rough surfaced composites which scatter light diffusely to produce a dull matt appearance.

abrasion resistance

Tokuyama composites’ uniform and small spherical filler particles are not easy to dislodge and produce a very smooth surface that is highly resistant to abrasion. This abrasion resistant surface remains

smooth permanently, so that the initial lustre of Tokuyama composites remains permanent too.

Unlike irregularly shaped filler particles used by other manufacturers, which can become dislodged or plucked out by polishing etc to leave a rough and irregular pitted surface which is very abrasive and very difficult to polish.

Light Diffusion and transmission

The high light diffusion and transmission properties of Tokuyama composites ensure a uniform and gradual transition between tooth and composite. Unlike conventional composites which exhibit minimal light diffusion and transition resulting in visible margins.

Faster Polishing

Tokuyama composites produce the highest gloss in the shortest time.

radical amplified Polymerisation (raP) technology

Tokuyama’s patented Radical Amplified Polymerisation (RAP) Technology enables them to reuse the camphorquinone over and over again. This not only speeds up the curing time, but also dramatically reduces the amount of camphorquinone that is necessary in other composites.

Longer Working time, Faster cure

Tokuyama’s RAP Technology ensures faster curing plus high resistance to ambient light to ensure an extremely generous working time, when required. Followed by an extremely short curing time. Consequently, Tokuyama composites offer ease of

placement, sculpting and finishing which remains completely under your control until the moment you want it to cure, at which point it cures virtually instantaneously.

Deep

and complete cure

Tokuyama’s RAP Technology ensures a much higher degree of polymerisation resulting in much lower residual monomer, which leads to stronger, deeper and more complete curing.

Minimal Shade change

When camphorquinone is light cured its shade changes to a more yellowish hue.

Tokuyama’s RAP Technology means there is a much lower proportion of camphorquinone in their composite materials which ensures an imperceptible shade change after light curing. Unlike other composite brands.

conclusion

Tokuyama’s combination of patented spherical filler particles and RAP Technology means that their composites are easier to place, sculpt and finish; produce smooth restorations which are easier to polish and have a mirror finish and lustre that lasts and lasts and lasts; diffuse and transmit light for optical shading and aesthetics; are extremely abrasion resistant; have optimum optical properties; extended working times; shorter curing times, imperceptible colour change after curing; and are extremely aesthetic. Consequently, Tokuyama composites are in a sphere of their own!

For more information about the complete Tokuyama range please contact your local Trycare Representative, call 01274 885544 or visit www.trycare.co.uk n

SeM of tokuyama spherical filler particles
SeM of irregular filler composite material

Oral health in the acromegalic patient

When a patient presents with a general health complication that they manage in their everyday life, dental professionals will often have to consider it as part of their treatment plans.

Acromegaly is an obscure condition that creates this need. Whilst its rarity means some dentists may not encounter many patients living with the disorder, understanding how it presents and the associated oral health implications is essential.

To emphasise its rarity, the Pituitary Foundation estimates that, in a year, only around 4-6 new cases are diagnosed for every million of the population (however other estimates inflate this number as high as 116.9 new cases per million per year) . For the UK, a reserved approximation rounds out to more than 270 new diagnoses every year when considering the latest population estimates.

But what is acromegaly, and what do dental professionals need to know about the condition?

a greater problem

With small incidence rates, acromegaly’s impact can be larger than life. The production of too much growth hormone leads to tissue and bones developing at an increased speed. This is because of the presence of a commonly benign tumour that grows within the pituitary gland.

The results are features that may be abnormally large, most often hands and feet. However, as time goes on, patients may see gradual changes to facial features like their brow, nose and lips, and develop thick and coarse skin, combined with general tiredness, joint pain and headaches. The average diagnosis age ranges between 40-50, but it can also be identified earlier in life, which is of course optimal. Notable public figures who lived with the disease include André the Giant and actor Richard Kiel, who played every dental professional’s favourite Bond villain, Jaws.

affecting the dentition

The condition’s impacts on oral health range widely. Oro-facial manifestations are some of the earliest signs of the diseases, placing dental professionals in an ideal position to help those in the preliminary stages of its development.

It is no surprise that the enhanced growth of oro-facial features in acromegalic patients can affect occlusion. Mandibular growth is reported in nearly a quarter of those living with the disease, which can lead to prognathism in 20-22% of patients and the development of a class III dental and skeletal pattern. The condition reactivates the condylar growth centres, leading to periosteal bone apposition. This has an aesthetic impact that may affect an individual’s mental health

and social connections, but could also inflict physical pain through the temporomandibular joint and masticatory muscles.

Noticing a patient exhibits these traits when they seek out orthodontic treatment to amend a class III malocclusion, for example, could be the key for helping them find a wider range of suitable treatments.

Fighting gingivitis

Patients may also present with other intraoral concerns, such as an increased interdental spacing, or diastema, as a potential result of acromegaly. It is even more common than the protrusion of the mandible, with an incidence in 40-43% of acromegalic patients. When these large spaces appear, not only could they produce nonaesthetic “black triangles”, but they could result in occasional speech problems, or food impaction. Food that is left on the gumline, trapped in the enlarged spaces left between the teeth, must be removed. Shifting interdental plaque and food that builds up within these areas is key in the effort to prevent interproximal caries. Acromegaly is sometimes a cause for a thick gingival biotype which has been touted as potential protection against severe periodontal disease, but dental professionals must remember this isn’t consistent with every acromegalic individual, and effective oral hygiene is still necessary in each case.

Patients must be aware of the need to brush regularly and effectively, twice a day, and clean interdentally once per day. It can be helpful to recommend specific interdental cleaning solutions, such as the Waterpik® Cordless Slide Water Flosser. It effectively removes up to 99.9% plaque from treated areas, and is clinically proven to be up to 50% more effective than string floss for improving gum health. The Cordless Slide’s small stature – that can collapse to 50% of its original size – is perfect for easy storage in any bathroom, and even for travel. Acromegaly is a rare condition that many clinicians may only encounter on few occasions throughout their career. However, with apt knowledge to identify the condition early, and provide effective care around it, patients can minimise difficulties associated with the condition and enjoy improved oral health.

For more information on Waterpik® Water Flosser products visit www. waterpik.co.uk. Waterpik® products are available from Amazon, Costco UK, Argos, Boots, Superdrug and Tesco online and in stores across the UK and Ireland.

Join the 3,000+ dental teams who have already benefitted from a professional Waterpik® Lunch & Learn. Book your free session for 1 hour of verifiable CPD and a free Waterpik® Water Flosser – available either face to face or as a webinar – at waterpik.co.uk/professional/lunch-learn/. n

about the author

Sharon Kidd has experience working as a hygienist in a variety of different settings including dental hospital, domiciliary home visits, military, private and general practice. She works with specialists and general dental practitioners to support patients with different needs including those who are nervous to visit the dentist. Sharon is also a professional educator for Waterpik, the water flosser.

Diabetes burnout

Much has been said about the importance of patients living with diabetes to practice effective oral healthcare routines to prevent the development of periodontitis. However, those with the condition – especially emerging adults – can find it difficult to keep up with the numerous demands of managing their diabetes, and can suffer with burnout. Feelings of stress associated with burnout can even have a negative impact on blood sugar levels. Exhaustion and frustration interconnected to the inflexible daily demands of managing the illness, can result in negative associations with self-care. Diabetes mellitus is a chronic disease that occurs either when the pancreas does not produce enough insulin or when the body cannot effectively use the insulin it produces to manage glucose levels. Diabetes UK reports that there are at least 5 million people in the UK with the condition, and numbers are increasing rapidly, with 90% of those with diabetes experiencing type 2. More than 2.4 million people are at risk of developing type 2 diabetes, and a further 850,000 are likely to be living with the condition undiagnosed.

More than half of all new cases of type 1 diabetes occur in adults, and the condition means the body is unable to produce insulin. Type 2 diabetes, is slightly different, in that it is characterised by insulin resistance, where the muscle, liver and fat cells do not use the hormone well. Insulin resistance can be affected by excessive adipose tissue, lifestyle, genetic factors, hormonal diseases, damage to the pancreas, pregnancy and certain medicines. Effective management of the condition is vital to avoid potentially devastating consequences.

It’s demanding. A daily regime of exercise, managing medication, and monitoring blood glucose are the therapeutic obligations of patients with diabetes. The condition itself can cause fatigue, and the stress of managing the condition can exacerbate this.

Patients can be under the care of multiple healthcare professionals, including doctors, dentists, nurses, ophthalmologists, endocrinologists, and mental healthcare professionals. Managing diabetes may put additional pressure on all aspects of their lives, and may require support from family members, carers or social workers. It’s common for diabetic patients to feel guilty about the impact of their condition on loved ones, or to feel bad that they cannot fulfil certain tasks or obligations.

The impact of so many factors outside their control can affect

emerging self-efficacy levels, and burned-out individuals can become apathetic or non-compliant with managing their therapy.

Nonadherence is rife. Studies have shown that diabetes has the second lowest adherence rate of 17 chronic conditions. This especially affects young adults, for whom the constant regime of treatment can be associated with perceived obedience to authority, and a desire for autonomy and freedom can make developing self-governed care emotionally complex. Knowing the additional risks for diabetic patients, dental clinicians may also feel frustrated by an inability to impress upon them the vital importance of oral hygiene.

Diabetes and additional oral care needs

Diabetes is a major cause of blindness, kidney failure, heart attacks, stroke and lower limb amputation. Periodontitis has been called the ‘sixth complication of diabetes’, and a two-way relationship exists; periodontitis could have a negative effect on glycaemic control. This knowledge has had dental professionals doubling down on advice to practice good oral hygiene, including regular interdental cleaning.

condition when communicating, and adopt a more collaborative rather than authoritarian approach to recommendations around their care.

Products like PREVENT GEL from TANDEX, used with their range of FLEXI interdental brushes are a great combination to recommend to patients with additional oral care needs due to diabetes. Interdental cleaning is easy with FLEXI, and PREVENT GEL can support mineralisation and management of bacteria where saliva-production is impaired. TANDEX also has a helpful FLEXI Educator tool, which enables

Diabetes, as well as some associated medications, can affect the production of saliva, which is vital for cleansing the oral cavity. The antimicrobial properties of lysozyme in saliva also assists in managing biofilm build-up, and it contains minerals to help protect teeth. Saliva has an important role to play in the digestive process of starch, and impaired salivaproduction increases the risk of periodontal disease, dental caries and tooth-loss.

Fat metabolism in diabetics influences collagen production, adversely affecting repair and replacement of soft tissue in the mouth, further risking periodontal disease and tooth loss.

how to approach diabetic burnout as a clinician

Recommending optimal oral hygiene is the job of all dental professionals. It’s important to be honest about the consequences of not taking the extra care needed to maintain a healthy mouth. However, patients experiencing diabetic burnout report that they wish healthcare professionals could be more aware of the many pressures and frustrations of managing their

a more collaborative approach to understanding patients’ unique oral hygiene needs.

Dental professionals want the best outcomes for all patients. Where patients are overwhelmed by the demands of managing their diabetes, it’s helpful to develop an awareness, and an empathetic approach to challenges they might be experiencing.

For more information on Tandex’s range of products, visit tandex.dk/ Our products are also available from CTS Dental Supplies:

about the author Kimberley lloydrees, on behalf of tandex, graduated from the University of Sheffield in 2010, where she now works as a clinical tutor in Dental hygiene and therapy as well as working in practice. She has spent her career working across a variety of specialist private and mixed dental practices, for the MoD and volunteering her time to a dental charity in Nepal.

Your patients’ unique tongue prints

Recent research from The University of Edinburgh has studied the unique surface of the tongue. It used artificial intelligence (AI) to gain an improved understanding of the papillae. The key outcomes of this study focused on personalised nutrition, recognising the anatomical reasons why people enjoy eating chocolate, for example, and aiming to help professionals find and promote healthy alternatives to different patients. However, another benefit of recognising peoples unique tongue prints was brought to light – monitoring for abnormal growths.

This technology combined with AI is still in development, however, this key take away is valuable for many clinicians. The ability for professionals and patients to recognise unique tongue anatomy will help them to notice anything out of the ordinary, like changes in colour and texture or pain, early on. Additionally, by adopting tools which are readily available on the market to assist in pre-diagnostic testing, clinicians can offer advice and referrals with confidence.

Becoming familiar with unique anatomy

Tongue prints are completely unique to each person – even identical twins have different tongue anatomy to one another – with some studies suggesting that this could make the tongue a useful tool in forensic investigations. Advising patients to become familiar with the features of their

own tongue is essential for helping them to monitor their own oral health, and notice any changes early.

Signs of illness and deficiency may present in the tongue in a number of different ways. These include changes in colour, texture, and pain. Typically, a healthy tongue is pink, with some variation for different people. If the tongue changes from the colour patients are used to seeing, adopting a white, red, or yellow hue, this may be cause for concern. White patches might indicate oral thrush, oral lichen planus, or leukoplakia. The latter occurs due to cell overgrowth in the mouth, with some cases benign and others potentially leading to cancer.

A red or purple hue might indicate geographic tongue, vitamin B (9 or 12) deficiency, Kawasaki disease, or scarlet fever. A yellow tongue usually indicates bacterial overgrowth, but can also be caused by tobacco use, psoriasis, and jaundice. Some of these conditions can be resolved by a change in oral hygiene or diet, whereas others should be treated quickly to prevent severe consequences. As such, it’s important that patients discuss any abnormalities with a professional to ensure they receive the care they need.

Sleep bruxism in children

Bruxism is a masticatory muscle activity that can take a heavy toll on the body as well as the quality of life of sufferers. Between diurnal and nocturnal habits, sleep bruxism is the most studied, and may affect between 5% and 49% of children, depending on which study you read. The Bruxism Association quotes 20% as an underestimate, with many parents not realising their children are experiencing the disorder.

According to the NHS, most childhood bruxism eases after the appearance of adult teeth. However, persisting, frequent behaviour may have deep effects on orofacial structures. Consequences can include wear, erosion and fracture of teeth, temporomandibular disorder of the jaw joints, myofascial pain, malocclusion, periodontal disease, caries and impacted teeth. Sufferers of all ages can experience insomnia, headaches, tinnitus and noise sensitivity, eating disorders, and depression. Cosmetic dental practitioners may find themselves addressing some of the consequences of bruxism on a daily basis. We will advise patients to address the cause of the habit before undergoing any form of restorative treatment, so awareness of the potential causes is vital for clinicians.

the links between airway problems and childhood bruxism

Cited causes of childhood bruxism can range from misaligned teeth, pain from earaches or teething, to stress or medical factors, like ADHD, palsy or some medications. However, a topic of great interest in recent research has been the link between airway dysfunction, including sleep

Patients and clinicians should also make note of any soreness or bumps in the mouth and on the tongue. This is of particular concern if it is causing the patient pain, and could happen as a result of tobacco use, mouth ulcers, tongue biting, or burns. If soreness and bumps do not clear up after 2-3 weeks, they could be a sign of oral cancer, and clinicians should run further tests or refer the patient for diagnosis and treatment.

Check for anything abnormal

Ensure your patients understand the importance of seeking care if they notice anything unusual with their tongue, even if they assume it’s harmless. Receiving a proper diagnosis is vital, as anything unusual may be a sign of something more serious. Discolouration and changes in texture are some of the potential indicators of oral cancer. Patients should report anything abnormal and get it checked, including a mouth ulcer which lasts longer than three weeks. These could be the early signs of oral cancer and, if caught early, might mean improved survival rates – particularly if treatment begins in its early stages.

Oral cancer is common, with around 8,500 new cases diagnosed in the UK per year. Currently, tissue biopsy is the gold standard for cancer diagnosis, however, the invasive nature of the procedure means that is can be painful and uncomfortable. Many traditional non-invasive methods are not sufficiently sensitive, and are therefore potentially unreliable. As such, the use of a

new non-invasive pre-diagnostic test, which provides information about oral cancer biomarkers in incredibly helpful for informing the need for further testing and biopsy. The BeVigilant™ OraFusion™ system from Vigilant Biosciences® is a quick and easy pre-diagnostic test which is designed to be used at point of care, using saliva. If a dentist spots a lesion which they think is suspicious, the BeVigilant™ Orafusion™ system can be used to identify the presence of biomarkers associated with oral cancer, producing a result in 15 minutes or less. This is ideal for clinicians who would like to feel more confident when referring patients, and assessing for oral cancer.

In order to more effectively monitor patients’ health, it’s important to be familiar with the different signs of illness. When clinicians and their patients regularly monitor their anatomy, checking for any abnormalities, they are more able to pick up on illnesses early, and improve survival rates for conditions like oral cancer.

For more information, please visit www.vigilantbiosciences.com or email info@vigilantbiosciences.com n

about the author after a long career in medical devices, Phil Silver created total tMJ, which distributes innovative technologies from leading healthcare manufacturers to dentists and clinicians around the UK.

apnoea or upper airway obstruction, and dental health. Particularly surprising perhaps is the specific link between airway problems and bruxism in children. A recent study, with subjects at an average age of six, found that an overwhelming 62.5% of children with respiratory problems exhibited a habit of bruxism.

Respiratory problems in sleep may lead to a habit of mouth-breathing, which is reported in 10-15% of children. The link between oral breathing and a whole host of dental problems is well documented.

Where hypertrophy of tonsils and adenoids is present, which is a common cause of breathing problems, surgery can be an effective solution to bruxism. A study comparing the incidence of bruxism before and after adenotonsillectomy in children with sleep apnoea, found that three months after surgery, disturbed breathing had been resolved in all children and there had been a significant reduction in bruxism, from 45% to 11%.

treating bruxism

A range of therapies and treatments for bruxism exist, including cognitive behavioural therapy, sleep hygiene and relaxation techniques, though their effectiveness is not well-established. Other solutions include physiotherapy to ease the muscular-skeletal symptoms of sufferers, and medications.

Occlusal splints are often successful in the prevention of dental damage and grinding sounds associated with sleep bruxism. However, they can actively encourage mouth-breathing, causing an aggravation of respiratory disturbances in apnoeic patients. A mandibular advancement

device, which works by moving the jaw forward, might be an alternative treatment in patients with obstructive sleep apnoea (OSA) and sleep bruxism, but more research is needed to confirm efficacy.

Mouth breathing – specifically the position of the tongue – can have a profound effect on the growth and development of the jaws and facial bones. The changed function and the posture of facial muscles can affect the development of the lower jaw, leading to a retrusion or ‘flattened’ profile. As well as affecting the alignment of teeth, this can have a significant impact on overall facial aesthetics as well as function. Evaluation by an orthodontist or oral and maxillofacial surgeon is needed to determine the most appropriate treatment approach to malocclusion in severe cases.

Mouth-taping has recently become a popular home-remedy for mouthbreathing, and indeed, mild cases of OSA where mouth-breathing is present, may respond well. Recent research has shown promising results in adults, where patients can tolerate treatment, and where there is no significant retrognathia, though more research is advised.

restoration

Once underlying conditions and factors have been addressed, cosmetic dentists may use a range of techniques to address some of the damage caused by bruxism, including composite bonding, crowns, bridges or no-prep veneers.

The right treatment can improve dental function and protect teeth from ongoing damage, as well as restoring aesthetics. Studies continue to show the

positive psychological impact of aesthetic improvements to teeth, and cosmetic restoration is equally concerned with treating symptoms like wear. For these reasons, treatments like dental bonding to correct damage and prevent decay in children’s teeth – even deciduous teeth -–may well be appropriate.

Connecting to a community for professional development

The British Academy of Cosmetic Dentistry (BACD) offers members access to a wealth of resources on restorative options to treat patients who have experienced bruxism. There are various networking and CPD opportunities to support clinicians in delivering the most appropriate and ethical care to patients of all ages and requirements. In addition, the BACD offers numerous chances to share knowledge and best practice with peers at events throughout the year with some of the best speakers in the industry. The best clinical practice is underpinned by curiosity – asking the right questions and listening well to the answers. By building knowledge on a wide range of topics, including the potential causes of bruxism, clinicians will be well positioned to support all their patients with ethical and minimally invasive solutions, not matter their concerns or age.

For more information, visit bacd.com n

about the author luke hutchins, BaCD President, 2024

Love the Oralieve range… I literally had a patient this morning and Oralieve has changed her life… the samples have been an absolute blessing

hygiene for sensitive and dry mouths • A unique combination of bioactive ingredients and enzymes

• Supplements patients’ natural saliva

• Helps protect tissue and promote a healthy mouth

• Ultra mild mint flavours • SLS free • Fluoride protection • Offers comfort and protection for oral tissues Effective relief of dry mouth symptoms – day and night

Tackling tooth wear

The UK soft drinks industry has a market value of £16 billion, with carbonated drinks the largest sector at 40%. As such, in 2021, the UK consumed 14,520 million litres of soft drinks, averaging at around 105 litres per person. With this in mind, clinicians should consider the effects this may be having on their patients’ oral health, and the ways in which the nation’s fizzy drinks obsession may be contributing to tooth wear. Dental professionals must also acknowledge the ways in which acting early could help prevent severe tooth wear, tooth fracture, and tooth loss.

causes of tooth wear

In order to understand the nature of tooth wear, it’s important to understand its potential causes. This enables clinicians to more effectively manage the problem and advise their patients appropriately. Usually caused by a combination of chemical and mechanical factors, tooth wear is the cumulative loss of tooth structure. It is a natural part of ageing, but those with severe tooth wear in their younger years should be treated accordingly as it can lead to poor aesthetics and affect the teeth’s lifespan. Research suggests that increased tooth wear is associated with extrinsic acid from food, drinks, and medications, as well as intrinsic acids caused by gastrooesophageal reflux and vomiting. The potential for extrinsic acids to erode the teeth is determined by a number of factors including low pH, low salivary flow, and

low fluoride content. This being said, acidic drinks have proved to be particularly harmful when it comes to tooth erosion. As such, clinicians should promote a healthy and balanced diet, with a reduced intake of acidic drinks.

Chronic trauma from occlusion may occur if abnormal forces are exerted on the tooth for a long period of time. It can cause significant problems for patients, as it leads to progressive changes such as tooth migration, tooth wear, and teeth extrusion. Functional and occlusal issues such as teeth clenching can result in highpressures being put on the teeth. This pressure on the tooth surface can cause wear, cracks, and fractures.

The effects of mechanical wear can be made worse by chemical erosion. This is because acid can either erode the tooth structure directly, or soften the tooth leaving it susceptible to being worn away by hard toothbrushing and/or bruxism.

the true cost of tooth wear

In 2022, UK households spent approximately £2.9 billion on dental care. Tooth wear is common, with the chemical-mechanical process affecting 30% of adults. A 2009 survey of England, Wales and Northern Ireland found that 2% of adults had severe tooth wear (exposing the pulp or secondary dentine), and 15% had moderate wear. This demonstrates the impact that a relatively common condition can have on patients, and the importance of acting early to prevent progression.

Not only does dental care impact patients financially, but tooth wear alone can lead to further dental issues. Sensitivity is a frequent complaint from patients with tooth wear, with 60% of patients reporting this symptom. In severe cases of tooth wear, dental pulp can be exposed, and become infected – this can result in the need for endodontic treatment. Other times, although it is becoming less frequently practised, the damage may be so severe that teeth are extracted and replaced with dentures. It is important that clinicians have a clear understanding of their patient’s unique anatomy to decide on the best course of action when it comes to restoration, to minimise any further discomfort.

taking action early to prevent fracture

In order to prevent the worst-case scenario of tooth fracture or loss, pre-empting any issues with occlusion and function which might lead to tooth wear is key. In doing this, clinicians will be able to make the necessary recommendations and provide the treatment needed to improve the patient’s occlusal situation. This might mean offering orthodontic treatment to align the bite, or a restorative option.

In order to properly monitor a patient’s oral health status, and effectively adjust their occlusion, it’s important to obtain accurate models of their anatomy. This allows clinicians to plan treatment effectively. As digital dentistry continues to evolve, accuracy in this aspect of dental diagnosis and treatment planning is improving. This being said, tools currently on the market, such as intraoral scanners, are not always appropriate for measuring occlusion, as they cannot accurately recreate the bite. As such, until new developments are available for use, analogue dental impression materials are still considered the gold standard for obtaining a highly accurate representation of the patient’s anatomy. While it is very common, and part of the natural ageing process which comes with wear and tear, tooth wear is an area of concern for many patients. When patients experience significant tooth wear earlier in life, clinicians should investigate the cause and recommend treatments and provide advice to target their specific issue. n

about the author Stephen claffey, Managing Director of Dental pathway and the independent Dental advisory Board.

Why aren’t diamonds a dentist’s best friend?

Smile aesthetics are of high importance for clinicians and patients alike. It can be a source of confidence and social acceptance, so it’s no surprise that people endeavour to decorate their smiles, and that they have done for thousands of years.

Tooth jewellery, including grills (sometimes called “grillz” or “fronts”), are commonly associated with famous hip-hop artists and rappers of recent decades, but modifications for aesthetic purposes are seen as far back as the 7th century B.C. by the Etruscans, in parts of modern-day Italy. These were usually gold bands that held in fake teeth, signifying an individual’s wealth. Today, the jewellery that adorns the smiles of celebrities such as popstars Billie Eilish and Beyonce, and basketballer LeBron James all achieve a similar purpose. However, it is not exclusive to the wealthiest in society. Whilst diamond embezzled grins aren’t affordable for all, the everyday person can acquire DIY gem kits for as little as £5 from a variety of online retailers.

Clinicians must be wary of the potential risks these aesthetic additions can pose to patients, and how to best approach any ill-managed dentition with these embellishments.

creating challenges

Grills are removable tooth covers that typically span one or more teeth, often made of gold, silver or jewel-encrusted precious metals. Whilst patients may be aiming for

a stand-out look, wearing such accessories could put their oral health at risk.

Patients that regularly wear a grill create an environment that encourages bacteria to build-up, without easy disruption. Some devices are removable, but patients could experience complications such as tooth decay, gingivitis, enamel wear, and halitosis, each due to bacterial contamination. Fixed grills are very difficult to clean around, so the literature endorses the use of a removable device, if any is to be worn at all. This way patients can remove it at meal times and when brushing their teeth, avoiding the build-up of debris and eventually plaque. Adjusting oral hygiene routines in this manner is essential to maximise a patient’s health.

With the build-up of plaque, patients develop an increased risk of decay and cavity formation. This can be both aesthetically challenging, with white, brown or black spots appearing, and physically painful. Patients that are prepared to invest in dental jewellery should be advised to

consult their clinician in regard to their oral health and overall suitability. If plaque buildup is already an issue, compounding it with the presence of an item such as a grill will not be ideal.

invasive changes

Wearing dental jewellery incites the possibility for patients to see permanent physical changes to the structure of their teeth. The aforementioned tooth decay can lead to the development of caries, which may require fillings or even root canal treatment. Some tooth jewellery also requires preparation of the dentition, creating permanent defects on the teeth in already caries prone areas.

A moveable piece of tooth jewellery could also be the culprit of permanent damage, causing abrasion to the teeth.

encouraging discussion

This is not to say that all dental decorations are only bad, and that patients must never get them. The literature has even described jewellery placement as a suitable alternative treatment for hypomineralised white spot lesions. Dental professionals have the greatest level of understanding of the dentition, and could safely provide aesthetic solutions like these, checking up on them regularly in the ensuing years.

Safe placement for many permanent items of dental jewellery requires the use of an appropriate composite and bonding agent which can be reliably provided by a dental professional – as opposed to everyday

adhesives like superglues and nail glues which have been seen to be used online, with detrimental risks to oral health.

Being informed as a dental professional on the aesthetic options that are available to patients, and the challenges that they present, allows you to be ready to discuss each individual’s suitability. Ensuring you have optimal composite solutions on hand in the practice is key for both providing dental jewellery embellishments, and creating restorations should patients present with cavities, or need to repair damage caused by previously worn tooth gems.

Such a wide variety of indications makes versatility essential. The awardwinning* 3M Filtek Universal Restorative offers exceptional aesthetics, strength and durability for a wide range of clinical demands. Dental professionals need only choose between eight designer shades and an improved extra white (XW) to cover all 19 VITA classical and bleach shades** and meet aesthetic demands, whilst being assured that class I, II, III, IV and V indications can all be treated effectively.** When patients indulge in modern accessories that are worn by today’s celebrities, their dentist is the person best able to advise on minimising the risks to oral health.

For more information, call 08705 360 036 or visit www.go.3M.com/ocsdpr n 3M and Filtek are trademarks of the 3M Company.

*Dental Advisor award-winning product **3M Internal Data

Taking on the complex with clear aligners

Clear aligners are increasingly the treatment of choice over traditional fixed appliances for adult patients looking for improved aesthetics and comfort.

They have been found to improve upon a patient’s psychosocial, physical pain and physical/psychological/social disabilities when compared to traditional orthodontic devices. Where appropriate, clinicians might well hope to offer their patients the choice to experience these benefits, including in the most complex cases. Completely understanding the potential applications for clear aligners, as well as their limitations, allows clinicians to tailor their advanced treatment plans according to their patients’ unique needs, and provide this often-preferred form of care in more cases.

material matters

To use clear aligners to their greatest potential, it’s important to look briefly at their treatment ceiling. Complex cases that include severe bite issues, large gaps, or severe crowding may make this form of treatment less suitable, instead requiring traditional fixed braces. The literature has also cited distalisation, rotation and extrusion as some of the more difficult movements to carry out successfully with clear aligners, and whilst it is not impossible to achieve these results, a relevant case may prompt the need for an alternative treatment approach.

However, recent developments in the materials used to create clear aligners as well as clinical approaches have improved predictability in a wider range of cases.

Polyethylene terephthalate glycol (PETG) materials have been the solution of choice for many complex designs due to their durability, high impact strength and resistance to chemical changes. With impressive mechanical and optical properties, it’s easy to see why they are increasingly preferred.

The future of complex clear aligner cases could lie in shape memory polymers (SMPs), sometimes known as actively moving polymers. This material offers the ability to revert to an original shape when achieving a necessary transitionary trigger, such as a certain temperature for a designated time period. During a treatment cycle, the SMP-based aligner could be subjected to such a trigger, reverting to a predefined shape, and in turn generating forces which can produce orthodontic tooth movement. When designed to harbour multiple aligner shapes within its form, it could reduce the number of aligners used during orthodontic treatment and achieve complex corrections sooner.

Step by step

When tackling a complex case suitable for aligner therapy, treatment is most effective when the dentist creates an efficient and actionable treatment plan. Therefore, one of the most important skills for a clinician providing clear aligners for complex cases is an understanding of how to implement staging.

Those that have prior experience in orthodontics may know that staging refers to the breakdown of an intended movement of teeth in a sequential manner, with the use of aligners. This segmented approach

allows for the close control over linear and rotational movements over time, with each new aligner achieving a specific step that gets a patient closer to their end goal. In complex cases, staging orthodontic tooth movement is essential and can be used to attain better treatment outcomes.

When used in the treatment of severe crowding, staging has provided no significant differences in results when compared to fixed brace treatments, including in case duration. One 2022 study broke up the process into three overarching stages of ‘decrowding‘, ‘space closure’ and ‘fine-tuning’. This allows for targeted movement of the crowded anterior teeth, before achieving a class I canine and molar relationship, and making final adjustments, such as overcorrections – recommended by many in case of possible relapses – and closures of any residual spaces.

Segmented approaches also allow clinicians to focus on moving just one or several teeth at a time, which is useful throughout a treatment sequence, and help to minimise proclination that may result from fixed brace treatment.

Clinical confidence

There are always going to be some cases where fixed appliances have an irrefutable advantage over clear aligners. The key is

recognising these, and when a suitable case presents, enacting a treatment plan that allows for success within the patient’s preferences, which may well be with the more aesthetically pleasing clear aligners. To do so, clinicians could embark on the Clear Aligner (Level 2) course from IAS Academy, which is specifically designed to equip clinicians with the skills to take on more complex cases and expand their patient base. The course provides insight on case selection, treatment planning with a variety of clear aligner systems, accurate staging, interproximal reduction, and so much more. Plus, delegates can receive guidance long after the course has ended with the renowned mentoring from IAS Support, so they can confidently provide clear aligner therapy in the coming years. Clear aligner orthodontics has experienced immense progression in tandem with heighted patient demands. Now, with the right materials and approaches to care, clinicians can help more patients with a greater complexity of treatment needs. With a trained eye for case suitability and the skills to devise an effective treatment plan, predictable results are well within reach. For more information on upcoming IAS Academy training courses, please visit www.iasortho.com or call 01932 336470 (Press 1) n

about the author Dr tif Qureshi, Founder and a Clinical Director of IaS academy.

Perfecting impressions in the partially edentulous patient

When creating a comfortable removable or fixed dental prosthesis, clinicians must always endeavour to get the first step – an accurate impression of the existing dentition – as close to perfect as possible. After all, this stage informs all subsequent decisions made throughout the treatment process.

In everyday dentistry, impressions will often be required for those presenting with missing teeth. Yet the majority of studies on impressions and scanning accuracy are conducted on fully dentate models or patients, which do not represent a real-life patient demographic.

Without considering how this might impact the process, a first impression could be ever-so-slightly inaccurate, and throw off the success of the entire treatment.

Understanding opportunities to maximise the accuracy of the final result is key.

the bigger picture

At current, the available options to dentists are split into two main camps: conventional and digital impressions.

The latter is built upon the use of intraoral scanners, whose modern developments have made them a reliable option in a variety of situations. They are widely acknowledged to be faster than a conventional impression, regardless of whether a dentist is obtaining information on a quadrant or a complete arch, and a

2021 systematic review observed 10/11 studies stating that it is preferred by patients to a conventional method. The reasons behind this varied, but it was typically a case of increased comfort and reduced anxieties for the patient. However, conventional techniques are by no means out of the running. Whilst digital solutions are adapting and evolving to create streamlined workflows, there is still debate around the accuracy and reliability of their results. The creation of an intraoral scan relies upon lining up individual images through an alignment and stitching process. Each step has the potential for error, and as the scan distance increases, this margin grows. The largest deviations are therefore measured over the full-arch, with the potential for a variation in accuracy that is far higher than that of conventional impressions.

Scans in the partially edentulous patient can be an issue if the missing teeth are accumulated in one set across the dentition, and a larger restoration is needed. A conventional impression could provide the increased reliability that clinicians need to be more confident in the final outcome of a fixed or removable prosthetic.

to the finest margin

Partially edentulous patients may wish to restore their dentition with a variety of effective solutions. This could include the placement of an implant and a fixed

partial denture, or even a removable partial denture for those that prefer a less invasive option.

When a clinician is planning for these types of indirect restorations, the accuracy of the initial impression will largely depend on the retraction of the gingiva, which allows for the accurate recording of the sub-gingival margins. If this cannot be adequately achieved, the resulting restoration may not meet the preventative, therapeutic, aesthetic, and clinical goals that drive each treatment plan.

Clinicians may choose to use retraction cords or an astringent paste to displace the gingival margins, depending on their clinical preference and any relevant patient factors.

This is an aspect of impression taking where a digital method once again suffers. When it is necessary to collect information deeper into the sulcus, it is more difficult to capture the margin using an intraoral scanner as opposed to a conventional impression compound. The literature has even advised against the use of digital impressions when a crown’s margin is deep (1.5-2mm) into the sulcus.

Therefore, when working with the partially edentulous patient, a conventional impression method may be advantageous to maximise the detail that can be attained. However, doing so also relies on an effective material choice. Kemdent offers clinicians a variety of exceptional impression compound materials, including

the Precision Impression Compound Tracing Sticks. These are exceptional for obtaining a greater definition in the full sulcal depth or creating border extensions on impression trays. With high viscosity they can deliver exact and minute details, without compromise.

Creating comfortable, aesthetic and functional solutions for the partially edentulous patient requires an effective initial impression. Whilst digital techniques are still evolving, conventional methods may yet be preferred to avoid a wider potential variation in results when treating larger defects or working with sub-gingival margins.

Choosing when to use such solutions and effectively employ techniques such as gingival retraction, where they are suitable, is a skill in itself for clinicians. But with confidence in their materials and tools, it may be easier to attain a brilliant impression, and a fantastic final restoration, with each passing treatment.

For more information about the leading solutions available from Kemdent, please visit www.kemdent.co.uk or call 01793 770 256 n

about the author alistair mayoh, marketing Director at Kemdent.

The exposure factor

Maxillary sinus exposure after tooth extraction is a common occurrence that requires prompt identification

Maxillary sinus exposure after tooth extraction refers to the accidental perforation or opening of the maxillary sinus during the process of removing a tooth from the upper jaw. This can occur due to various reasons, such as a thin bone wall separating the sinus from the tooth socket or excessive force applied during the extraction.

As you know, the maxillary sinus is a cavity located in the cheeks, above the upper teeth. It is lined with mucous membranes and serves to filter, humidify, and warm the air we breathe. When a tooth is extracted from the upper jaw, there is the risk of creating a communication inadvertently between the oral cavity and the maxillary sinus.

To manage maxillary sinus exposure, prompt identification and appropriate treatment are crucial. If suspected during the extraction, the dentist may stop the procedure and assess the extent of the exposure. A visual inspection and radiographic imaging, such as a periapical or panoramic x-ray, can help determine the size, location, and severity of the sinus opening.

The classification of maxillary sinus exposure can vary, but it generally includes three categories: small, moderate, and large. A small exposure refers to a perforation measuring less than 2-3mm in diameter, a moderate exposure ranges between 3-5mm, and a large exposure exceeds 5mm.

Simple procedure

Immediate management of small exposures usually involves the simple procedure of primary closure, suturing the perforation site with resorbable or non-resorbable sutures. It is essential to inform the patient about potential complications, such as sinus infection, during the follow-up period. In cases of moderate or large exposures, primary closure may not be feasible due to the size of the perforation or compromised soft tissue. In these situations, a secondary closure technique would be employed. The secondary closure involves creating a surgical or buccal advancement flap to access and close the sinus communication. This technique allows direct visualisation and proper manipulation of the exposed sinus membrane.

In some instances, the dentist may decide not to close the maxillary sinus exposure immediately. This may be due to factors such as inflammation, infection, or inadequate visualisation of the perforation site. In such cases, the clinician may choose to place a resorbable or nonresorbable membrane over the perforation site to act as a barrier and promote healing. This guided tissue regeneration technique allows the soft tissue to regenerate, closing the communication between the sinus and the oral cavity over time.

Complications

Post-operative care is crucial for patients who have experienced maxillary sinus

exposure during tooth extraction. Dentists may prescribe antibiotics, nasal decongestants, or saline rinses to minimise the risk of infection and promote healing. Following the dental professional’s instructions regarding diet, oral hygiene, and activity restrictions is essential to prevent complications.

Complications that can arise from maxillary sinus exposure include sinusitis, oroantral fistula, sinus infection, implant failure, and delayed healing. Patients should be informed about these potential risks and encouraged to report any persistent symptoms, such as pain, swelling, discharge, or difficulty in breathing through the nose.

Given that a tooth extraction is one of the treatments most feared by many patients, using the correct – and best –instruments is vital for both the treatment and the patient experience.

With Piezomed from W&H, dentists and oral surgeons have all the advantages of cutting-edge ultrasound technology at their fingertips. Ideal for extractions, its high frequency microvibrations allow for incredibly precise surgical procedures –only bone substance is resected – and its cavitation effect ensures an almost bloodfree surgical site. The surrounding soft tissue remains largely intact, which means less pain for the patient and a quicker healing time. As soon as an instrument is inserted, Piezomed automatically detects

the instrument being used and assigns it to the correct power class. This not only facilitates operation but also increases safety in oral surgery, including maxillary sinus exposure corrections.

Maxillary sinus exposure after tooth extraction is a relatively common occurrence that requires prompt identification and appropriate management. The classification of the exposure determines the treatment approach, which may range from primary closure to guided tissue regeneration or surgical flap techniques. Close monitoring and post-operative care are essential to minimise the risk of complications and ensure optimal healing.

To find out more visit www.wh.com, call 01727 874990 or email office.uk@wh.com n

about the author

Kate Scheer, marketing executive, W&H (UK) Ltd

The importance of soft tissue management around implants

Soft tissue management around dental implants is an important aspect of the treatment modality. There is a body of evidence demonstrating that key features of the peri-implant tissues impact the aesthetic and health outcomes of treatment. As such, clinicians providing implant therapy must be confident assessing the soft tissues and minimising the risk of related complications, which often includes the provision of soft tissue grafting procedures. As a Specialist Periodontist, this is something that Dr Joel Thomas is passionate about. He is particularly keen to promote the topic among colleagues who are new to dental implants, commenting: “Clinicians often come out of implant training with relatively low confidence in soft tissue surgical management techniques and how to use them effectively. From early in their implant careers, clinicians need to know how to identify, diagnose and plan for providing optimal soft tissue around their implants. By acquiring the skill and confidence required to avoid and treat potential soft tissue deficiencies, dentists reduce the need to refer and increase their chances of success in a broad range of implant cases.”

As part of his mission to enhance training for soft tissue management around implants, Joel discussed the topic and offered a wealth of practical hints and tips during his session at the Association of Dental Implantology’s (ADI) Next Gen Masterclass 2024. There was also ample opportunity for delegates to gain hands-on experience, as Joel took them through the fundamentals

of soft tissue augmentation and how to use these techniques effectively. He says:

“One of the biggest causes of problems for clinicians who are new to implants, is the failure to identify potential complications associated with the soft tissue in the initial assessment. In particular, we need to be evaluating the thickness, quality and biotype of the soft tissue, as these will have a significant impact on the aesthetic outcome that can be achieved. They will also influence the risk of peri-implantitis developing in the future, which is something that the patient needs to be made aware of.

“Beyond the initial consultation and assessment, the soft tissues should be monitored carefully throughout the implant treatment stages. In an ideal situation, we would want to see thick, keratinised and attached tissues around each implant at the time of fitting the crown. Where this does not form, augmentation may be indicated prior to fitting the final crown.

“The goal should always be to manage the soft tissues as early in the treatment process as possible, creating maximum opportunities for review and further augmentation if needed. This also helps to avoid extending the overall treatment time.”

Though he has developed expertise in soft tissue augmentation and advanced management techniques, Joel highlights that prevention is still better than cure.

“It is much better to persevere the soft tissue in the first place than to augment it later,” Joel continues. “For example, if a tooth is present, extraction should be as atraumatic as possible. If using a delayed

implant placement approach, then socket preservation will likely be beneficial.”

When the soft tissue is found lacking and augmentation indicated, there are various treatment solutions to choose from. Firstly, the clinician must decide when to perform grafting procedures, whether prior to, simultaneously with or after implant placement and/or restoration. Several augmentation techniques are available to the dentist, each offering unique advantages according to the clinical situation. Joel adds: “The most common soft tissue augmentation solutions include autogenous grafts and tissue replacement therapies. These each have different indications and should be selected carefully based on the tissue characteristics.”

“The only real contraindications for any soft tissue grafting are medical issues or consequential medications that would impact the surgical procedures, heavy smoking and poor oral hygiene.”

For dentists looking to move into the implant arena, or who have already taken their first steps and wish to progress safely and effectively, Joel offers some advice:

“It’s really important to find a good mentor when you start out, who can guide you through your first few cases – with a particular emphasis on diagnosis and treatment planning. It is also vital to start simple and seek out additional training early on in your professional development so you are better able to identify suitable cases according to your skill level.

“I have found my membership with the ADI to be hugely beneficial. The association

provides access to an invaluable network of experienced clinicians who can advise on all sorts of difficulties you may encounter. There is a wealth of knowledge to be tapped into as you embark on increasingly complex cases. The resources available on the ADI website are also very helpful to deliver clinically effective and medicolegally safe implant dentistry. I use a lot of the consent forms and patient information leaflets. The standard of the conferences and courses run by the ADI has also always been very, very high.”

If you are new to dental implantology or looking to advance your skills in the field, the ADI offers the opportunity, inspiration and support to do so successfully. Find out more about joining and the various membership benefits available today! For more information about the ADI, visit www.adi.org.uk n

about the author

Joel graduated from Bristol University following which he worked as a general dentist in Worcestershire. During this period he became a member of the royal College of Surgeons, gaining his mFDS post graduate qualification. Joel quickly developed a particular passion for surgical dentistry, prompting him to pursue and advance these skills in the hospital environment.

Special offers

30/04/2024

Restorative

I invested in the Ti-Max Z Series turbines because I wanted more consistent torque for cutting through sturdy materials.

Edward Li BDS, Clinical Director, the a.b.c. smile

Restorative - Electric

NLX nano RETRO FITTED MICROMOTOR

Electric micromotors are the driving force behind speed increasing handpieces and can be fully integrated into the delivery system of most new and existing dental chairs. They can be retro fitted by an engineer or come as an option when buying new chairs. Controlling the specific speed and torque of micromotors within existing platforms is made easy thanks to built-in control pads.

Speed increasing contra-angles not only do everything a turbine does using the same FG burs, they provide a constant torque from the micromotor that does not decrease with resistance and higher load with no loss of power as they come in contact with the tooth.

Restorative - Contra Angles

• Optic

• 1:5 Increasing

• 10% shorter & lighter than Z95L

• Head size ø8.9 x 13.4mm

MODEL nano95LS

CODE C1099001 RRP £1,482

• Optic

• 1:4.2 Increasing+Spray switch

• 45° head

• Head size ø9.6 x 14.5mm

• Ideal for minor oral surgery too

• For regular or extra long (25mm) FG burs

MODEL Z45L CODE C1064001 RRP £1,556

• Optic • 1:1 Direct Drive +Spray switch

MODEL Z25L

CODE C1038001-SW RRP £1,233

a fullrange of NSK Contra-angles

• Non-Optic

• 1:5 Increasing

• Head size 10 x H.14.6mm

MODEL M95

CODE C1026001 RRP £834

• Optic

• 1:1 Direct Drive

MODEL M25L CODE C1024001 RRP £814

• Non-Optic

• 1:1 Direct Drive

MODEL M25 CODE C1027001 RRP £535

• Optic • 4:1 Reducing MODEL M15L CODE C1025001 RRP £952

• Non-Optic

• 4:1 Reducing

MODEL M15 CODE C1028001 RRP £636

• Non-Optic • 1:1 Straight

MODEL M65

CODE H1008001 RRP £523

For a fullrange of NSK Contra-angles

Restorative - Turbines

Ti-Max High performance turbines

• Optic

• Power 23w

• Mini head: Ø 10.6x12.4mm

MODEL M800L CODE P1253001 RRP £747

• Optic

• Power 20w

• Micro head: Ø 9 x 10.8 mm

MODEL Z Micro (ultra-mini head) CODE PA2357001 RRP £1,134

P1256001 RRP £696

• Non-Optic

• Power 23w

• Mini head: Ø 10.6x12.4mm

MODEL M800 CODE P1255001 RRP £696

Implantology & oral surgery

VarioSurg3

ULTRASONIC BONE SURGERY SYSTEM

Implantology & oral surgery

Complete Kit contains:

• Control unit

• Motor/Cord

• 20:1 contra angle

• Wireless foot control

Osseo 100+ measures implant stability and osseointegration to enhance decisions about when to load the implant. This is invaluable when using protocols with shorter treatment times and treating higher risk patients. The simple steps to measures the ISQ value allow the implant loading period to be planned in advance.

Complete Kit contains:

• Control unit

• Motor/Cord

• 20:1 contra angle

• 2 year warranty

• Corded foot control

Non-Optic

NSK’s new handpiece for Zygomatic & Pterygoid implants. Its unique angulated shape offers

MOBILE DENTISTRY SYSTEM CORDLESS PROPHY HANDPIECE

• Ideal as a surgery back up or to visit shielded patients

• Lightweight micromotor with additional endo functions

• Multipurpose ultrasonic handpiece

• Quick setup and storage

• 4-level adjustable height and angle

The complete kit comes with a 4:1 reduction head for screwin prophy cups/brushes. Alternatively a PR-F head (optional extra) can be used that connects to disposable Prophy heads.

LOCATOR

• Accurate measurement of any root canal using SmartLogic technology

• Operates in all conditions, including dry, wet and bloody canals

• Compact and lightweight

• Includes 60° and 80° nozzles

• 360° rotation

• Packed in a handy case

• Easily dismantled for autoclaving

• Includes 6 sachets of FLASH pearl® that quickly removes stains and plaque

Perio-Mate SUPRAGINGIVAL AIR POLISHER

BIOFILM ERASER

• Avoids injury to delicate periodontal pockets

• Smooth 360° rotation

• Flexible plastic nozzle tip for better access to di cult to reach areas

• Ultra-fine water spray and Perio-Mate powder eradicate biofilm in just 20 seconds

• Packed in a handy

with

Perio & prevention

Combines ultrasonic treatments and powder therapy in one unit. Comes with a detachable Prophy chamber. Detachable Perio chamber available as an optional extra.

Prof Luigi NibaliDr Varkha Rattu

Perio & prevention

Scaler Tips

TIPS FOR VARIOS

• Oscillation frequency 5,600-5,850Hz

• Kit includes 3 scaler tips

MODEL AS2000 CODE T698001 (Midwest M4 hose) CODE T697001 (Borden B2/B3 hose) RRP £477 each

• Max speed 1,000 rpm

• Brushes/Cups: Screw in

MODEL FX57m CODE C1054001 RRP £297

• Max speed 40,000 rpm

• Brushes/Cups: Disposable Prophy heads

MODEL FX65m CODE H1014001 RRP £239

Optic air scaler with coupling connection

• Oscillation frequency 6,200-5,850Hz

• Scratch resistant with titanium body

• Kit includes 3 scaler tips

MODEL Ti-Max S970L CODE T1005001** RRP £1,339

**also available in KaVo® fitting T1015001 and Sirona® fitting T1013001, RRP £1,372

• Max speed 5,000 rpm

• Brushes/Cups: Snap on cups

MODEL AR-EC(k) CODE Y110165 RRP £153

• Max speed 5,000 rpm

• Brushes/Cups: Screw in

MODEL AR-EC(s) CODE Y110164 RRP £153

• Max speed 30,000 rpm

• Brushes/Cups: Latch grip

MODEL NAC-EC CODE Y110148 RRP £155 Direct connection

2 × NAC-EC WITH S970

• Copper chamber more e cient to run than traditional stainless steel

• Quicker instrument turnaround

• Effective drying – protects from corrosion and recontamination

• Improved reliability – reduced maintenance costs

• Extends life of equipment and handpieces

• Affordable, effective upgrade from non-vacuum autoclaves

High performance B-type vacuum autoclave.

• Fast 25 min cycle for unwrapped loads

• 35 min for pouched loads

• Ideal for implant kits

• Includes Helix Test + Strips

Planning against early implant failure

Dental implantology has breached the forefront of the profession, and the reliable success that it provides has cemented it as an immense treatment solution for many patient needs. However, there is always room to develop and heighten the ceiling for success when it comes to treatment outcomes.

The failure of a dental implant generally falls into one of two camps: early or late. This depends upon the timing of the implant failure following placement. Early typically suggests an inability to establish osseointegration, whilst late failures come after a breakdown of an established osseointegration or functionality.

Overcoming the first hurdle is key. Generally, early failure is rare, and success rates exceed 95%. However, to further minimise this, clinicians require a greater understanding of why implants fail early –and why success lies in treatment planning.

Biological problems

The success of a dental implant depends heavily upon the health of the immediate surrounding soft and hard tissue. Dental professionals must first assess their patients to see if their health and daily habits stack up to forecast implant survival.

For example, one factor that increases the risk of early implant failure – by as much as 1.3- to 2.3-fold – is smoking, and it does so through a variety of means. Smoking decreases leukocyte activity whilst reducing the chemotactic migration

rate and lowering phagocytic activity. In turn a patient experiences low infection resistance and delayed wound healing, and the latter is only compounded with the presence of carbon monoxide and cyanide, which disrupt healing further. Therefore, in the weeks and months directly following an implant placement, smokers may observe a hampered recovery, with soft tissue that is prone to the development of infections such as peri-implantitis.

It has a negative impact on hard tissue too, as healing around the implant base may not occur at an optimal rate. This is because smoking can affect the osseointegration process by lowering the blood flow rate, due to increased peripheral resistance and platelet aggregation.

Assessing the patient’s risk factors is essential for defining a predictable and achievable treatment plan. This requires clinicians to speak extensively and openly with patients about their general health before deciding on implant treatment, and considering it as part of an effective plan. technique trumps all

Many of the opportunities for early implant failure actually lie within the procedure itself. Heat-induced necrosis and incorrect positioning of the implant have been cited as risk factors. For the former, drilling creates friction at the implant site and, if not properly managed, the heat that is generated can cause a degree of necrosis of the surrounding cells. As a result, the implant’s chances of successful

osseointegration may be compromised.

Achieving an optimal implant position is a critical part of surgery, and failure to do so can not only damage local biological structures, but result in aesthetic and technical complications. When an implant is placed in an unfavourable position, such as in an area with low bone density, it may be difficult to secure primary stability, potentially resulting in early implant failure.

Both of these risks can be avoided with, once again, thorough and considered planning. If the procedure were to fail due to inaccurate preparation, both patients and surgeons could feel a sense of angst. Taking the time to fully understand the differences that the most minute changes can make is key, allowing you to tailor your approach for successful outcomes.

Starting strong

Getting a dental implant procedure right first time is not only beneficial for a patient’s general health, but it means a second implant doesn’t have to be attempted –there is a reduced chance of success in a previously failed site. Working to reduce the chance of early implant failure means a complete consideration of the patient’s health and suitability, and the clinical approach taken.

The support around you could be key, with the chance to identify challenges that a treatment would present, and then devise an actionable and predictable treatment.

With the Postgraduate Diploma in Implant Dentistry from One To One Implant

Education, which relaunches May 2024, clinicians can learn to develop treatment plans that reduce the chance of early implant failure, and the latest, most effective techniques to carry out the procedure. The course is excellent for implant dentistry novices who are aspiring to become safe and confident clinicians, with guidance provided from dedicated tutors and mentors who have completed the course before, and developed their own experience in practice.

Early implant failure is rare in modern dentistry. With the advancement of new technology, it may drop even lower. However, it is always within the powers of the clinicians to truly optimise a treatment, and provide successful, long-lasting implants that patients will love.

To reserve your place or to find out more, please visit 121implanteducation.co.uk or call 020 7486 0000. n

about the authors Dr Fazeela KhanOsborne, Principal Implant and restorative Surgeon.

Dr nikolas Vourakis, Senior Implant and restorative Surgeon in private clinics in London and edinburgh.

Reducing implant complications with improved patient behaviours

Dental implants are widely considered a safe, effective and patient-preferred solution for missing teeth. In appropriate situations, when delivered by suitably trained and skilful clinicians, implant therapies can transform a patient’s life. However, it is essential that they really understand what the surgery entails, as well as the role they will need to play postoperatively to maintain oral hygiene and facilitate the best results. Not only does this ensure informed consent, but it will also lead to more satisfied patients.

Changing lives

Traditionally, dentures have been the go-to solution for missing teeth. However, changing societal trends and pressures have created negative attitudes towards the removable restorations.

For partially or fully edentulous patients, dental implants have become the goldstandard solution. They can restore a person’s ability to eat and speak properly, while improving their smile aesthetics and boosting their self-confidence. Quality of life has been shown to increase for patients who receive implants, especially with regards to their social interactions, emotional health and self-esteem. Modern products, techniques and technologies have facilitated significant success in the implantology field. The literature shows implant survival rates of 95.5% at one-year post-placement, 93.296.4% at 10 years, and 89.5% after 20 years. This means that many patients can

enjoy the benefits of treatment for decades, or even for the rest of their lives – when they properly care for their implant and restoration, of course.

Bumps in the road

Despite the exceptional survival rates recorded, dental implants are not without their potential complications. Several factors can affect their success, including the patient’s age, gender and systemic health. Lifestyle factors must also be considered. Smoking, for example, may not be a contraindication for treatment, but it has been shown to increase the risk of implant failure by 140%.

When it comes to the implants themselves, mechanical, biological and technical complications can occur, such as biomechanical overloading and fractures in the framework or prosthetic. One of the most common issues is peri-implantitis. This can develop from residual cement on the restoration, but is more often associated with plaque accumulation and biofilm formation.

Preventing the preventable

As is true for periodontitis, peri-implantitis is very often preventable. A Swiss study found that, while most patients were aware of dental implants (almost 80% of participants), they possessed poor knowledge regarding the post-operative care that is required for the long-term success of treatment. Preventive measures should, therefore, be put in place even before treatment has begun.

For example, patients must be educated on the risk of infection and its impact on their implants well in advance. The importance of long-term maintenance must also be emphasised.

The implementation of an effective and systematic oral hygiene routine – which minimises plaque and biofilm – is integral to reducing the risk of peri-implant diseases. Evidence also suggests that a lack of interproximal cleaning, in particular, increases the chance of peri-implantitis. That’s why professional advice should cover oral hygiene techniques and products, tailoring guidance to ensure that individuals understand exactly what they should do at home to look after their implants.

From a professional perspective during review appointments and check-ups, regular probing pocket depth and bleeding on probing scores are important for monitoring patients post-implant placement and identifying early signs of disease. They can also be utilised to manage any periimplant mucositis or peri-implantitis that does occur to reduce symptoms before more damage is caused.

encouraging positive patient behaviour

Ensuring patients really understand the importance of oral hygiene around an implant is critical for the success of treatment, but also for obtaining informed consent. A fully informed patient must have realistic expectations of their implant treatment from the outset, which will increase their satisfaction with the

outcome achieved too. So, how can this be consistently achieved in the practice?

The way that treatment is discussed with the patient from the beginning is key. If they truly appreciate the role they must play and the impact their actions have on their dental implants, they are far more likely to implement necessary changes to their routine or maintain a high standard of oral hygiene.

For the best outcomes, dental professionals can utilise Chairsyde – a state-of-the-art patient consultation platform. Containing a comprehensive library of animations, the system can be used to explain a patient’s current oral health status, their need for treatment and the procedure itself (benefits and risks included), in a way that they will understand clearly. There are also videos to demonstrate oral hygiene techniques and show how disease progression can be prevented, supporting informed consent and patient compliance.

With tools like this, the benefits and risks of dental implants can be more accurately and concisely communicated with patients. With their cooperation, the risk of complications can be minimised and treatment outcomes optimised.

For more information, or to book a demo, please visit www.chairsyde.com or call 020 3951 8360 n

about the author Loven Ganeswaran, CeO and founder, Chairsyde.

Implantology in a single visit

Innovations in same-day implantology, allowing truly astonishing, potentially instant aesthetic results for those experiencing tooth loss, are capturing the imagination of practitioners and patients alike. Twenty years ago, a patient seeking an implant might have waited nearly a year for a finished smile. Now, immediate placement is much more commonplace, with many surgeons actively preferring this as a less invasive, one-surgery procedure. Immediate loading is a popular option for patients too, making restoration faster.

The possibilities are indeed exciting. However, while patient awareness of and interest in dental implants has increased vastly, they may lack awareness of contraindications around different treatment solutions, which can lead to unrealistic expectations.

The benefits of immediate placement are now well-established. Immediate loading is also growing in popularity, though it requires careful consideration to optimise outcomes.

the benefits of immediate placement

Accelerating the journey towards better dental function and appearance offers obvious benefits.

The trend is clear; patients want betterlooking teeth. According to current statistics, the global market for cosmetic dentistry – including dental implants – is predicted to grow at an annual rate of 5%, increasing its value to an estimated £21 billion by 2026.

The drive to provide quicker results, however, is more than cosmetic. The detrimental effects of edentulism on physical and mental health are welldocumented. Tooth loss has been linked to increased risk of chronic kidney disease, coronary heart disease and certain cancers, among many other conditions. In addition to serious health concerns, edentulous patients’ quality of life is impacted by social isolation, and a negative self-image, leading to poorer psychological wellbeing.

For many patients, anticipating the pain of multiple surgical interventions, as well as longer healing periods, may increase anxiety. This anxiety contributes to patients delaying treatment acceptance, exacerbating problems and adversely affecting outcomes.

The clinical benefits of immediate implant placement are outlined in a number of studies, shown to deliver comparable success rates compared to placement in healed extraction sites. The technique can preserve bone height and width, improving longer term aesthetics. An impressive 99% survival rate has been recorded for immediately placed single molar implants. Although the process of immediate implant placement is more technically demanding than the traditional, delayed approach, it requires less intervention which can favour the healing of soft and hard tissue.vii Minimally invasive procedures are always preferred to reduce patients’ anxiety and discomfort.

Immediate loading – laying the groundwork

Immediate loading has become a more predictable and successful procedure than

ever before, and implant survival rates are very good overall. Primary stability is vital to implant success rates. Osseointegration cannot be rushed, and no matter the skill of the oral surgeon, the process will be compromised by any repeated pressure and movement.

To mitigate against the pressure and movement of mastication, patients are warned of the risks of chewing certain foods. Establishing a culture of clear communication and trust helps mitigate against patient behaviour that might compromise implant success. Patients with an immediately loaded implant will generally exercise a great deal more caution with their new prosthetic than they would if they had experienced a longer recovery time.

The importance of follow up care cannot be underestimated for detection of early problems that may lead to failure.x Having the beautiful smile your patient dreamed of in a day may well feel like the welcome end to a difficult journey for them. Honesty and clarity is vital to ensure that patients commit to the necessary ongoing care required for ultimate success.

Given the importance of primary stability in implant success overall, immediate loading had not previously been recommended for patients with poor bone quality. However, advances in implantology are widening the field and contraindications are evolving. The future looks exciting as more studies begin to reveal mitigations, like under-drilling the osteotomy and a rough implant texture to enable sufficient torque and good primary retention in suboptimal bone.

Engineered to meet patients’ expectations for shorter treatment times and better

aesthetics, Helix® Grand Morse® offers a unique implant design, with specific features for all bone types, facilitating immediate protocols. Its Acqua® hydrophilic surface is developed to present a smaller contact angle, and provide greater accessibility of organic fluids to the surface, improving outcomes. As part of the Grand Morse® portfolio, offering one prosthetic platform regardless of the implant diameter, one screwdriver, one implant driver and one surgical kit, the Helix® offers efficiency and simplicity.

No clinician wants to disappoint a patient hoping to achieve dramatic aesthetic results in a single day, but they must maintain integrity in assessing all the anticipated risks of an immediate implant approach to choose the most appropriate for each clinical situation. What may have been unimaginable twenty years ago is now a reality for many patients, who can have their dream of a brighter smile fulfilled in one single visit.

For more information on the Neodent® Grand Morse® Implant System, visit neodent-uk.co/portal n

Offer safe and predictable root canal preparation

In order for root canal treatment to successfully and predictably treat apical periodontitis, an accurate diagnosis is needed, and each stage of treatment must be completed to a high standard. As such, it’s important that clinicians think carefully about the equipment, techniques, and instruments they choose to use throughout the process, and the ways in which they may impact treatment.

technological developments to support predictability

Reproducibility is key in every aspect of dentistry, including endodontics. Each stage of diagnosis, treatment, and review will be more successful if it is predictable and accurate. As such, clinicians should consider the ways in which new technology could assist in producing more accurate diagnostic results, and more predictable treatment processes.

CBCT scans, for example, are a fantastic way for clinicians to produce more accurate diagnostic images. The 3D visualisation capabilities of CBCT imaging are superior when compared to traditional radiographs. They provide detailed 3D images, and enable reorientation for improved accuracy. Digital guided endodontic therapy is another exciting advancement. Static guided endodontics (SGE) involves creating a detailed template, whereas dynamic guided endodontics (DGE) uses a tracking system. CBCT scans are taken, and used

to create a 3D printed guide for SGE, and a real-time navigation system is used to devise a drilling path in DGE. Research suggests that digital guided therapy is an effective treatment method, including in challenging cases, demonstrating precision and time saving benefits, in addition to being a minimally invasive solution.

Benefits of a glide path

In order to maintain control of the root canal during treatment, there are a number of factors that must be considered during and prior to the procedure. This should include a comprehensive assessment of the tooth – establishing the number of canals, in addition to their location, length, curvatures, the presence of any calcifications, anomalous anatomy, and any potential difficulties with access. During treatment, excellent illumination and magnification should be achieved, as well as adequate and well-planned access, and good irrigation and preparation techniques. The creation of a glide path is also considered essential for a successful root canal treatment. As NiTi files are flexible, they are sometimes unable to adequately negotiate the initial opening of the root canal. As such, coronal enlargement of the canal should first be performed. Once the root canal has been opened, a glide path should be created, allowing the rotary files to pass through the canal, reducing torsional stress and the risk of fracture or file separation. The glide path

can be narrow, but should be a tunnel from the orifice of the canal to the radiographic terminus, allowing the following files to follow the path uninterrupted, for a simpler preparation. By effectively refining the anatomy of the root canal in this way, the subsequent files can advance safely. Additionally, the creation of a glide path increases the life span of instruments, and reduces the risk of errors in the rest of the procedure, as the clinicians have a more detailed guide of the root canal.

Choice of equipment

Predictability is essential when providing endodontic treatment. The diagnostic and treatment planning stages should contribute heavily to this, ensuring that the clinician has all the information they need to provide accurate treatment. Equally, the equipment and techniques chosen should help to ensure reliability during treatment.

Clinicians should therefore carefully consider the file types they use for their treatments. File separation and fracture are real concerns, which can have huge effects on the treatment outcome, and can impact the patient’s experience of treatment. As such, choosing reliable files which have a high cutting performance, and offer fracture resistance and flexibility for safer treatment enables clinicians to offer the best possible treatment outcomes.

The HyFlex EDM OGSF file sequence includes a new Orifice Opener and Glidepath file for opening the glide path, as well as a Shaping file for shaping the root canal over

the full length, and a Finisher file. The file sizes and tapers are optimised to provide a smooth feeling when changing from one file to another – for better control during treatment. The sequence of files is also preprogrammed in the new CanalPro X-Move and the top of the range CanalPro™ Jeni endomotor, further enhancing predictability. CanalPro™ Jeni is able to control the variable file movements, producing a response in milliseconds, adapting to the root canal anatomy in real-time, for a safe option. In order to provide your patients with the high-quality, reliable endodontic treatment they need, ensure you’re using the techniques, instruments, and equipment which enable predictable workflows. By doing so, root canal treatments will go smoothly, with improved accuracy, and patients will be able to enjoy the results of a successful outcome. In particular, ensure you’re using high-quality endodontic files in an appropriate sequence which facilitates safe and effective root canal preparation. Email info.uk@coltene.com or call 0800 254 5115.

For details of the COLTENE loyalty scheme, visit: https://rewards.coltene.com n

about the author mark allen, General manager at COLtene

NEW BORA 2 Iconic reliability

Over its 30-year history, the BORA turbine has continued to reaffirm the quality of its engineering. Its reliability and service life are self-evident. Because of the trust you have placed in it, we wanted to ensure that this legacy continues. The new design of the BORA 2 turbine provides even better performance, whilst retaining the legendary reliability which has characterised previous versions since 1991.

Offer a good night’s sleep with O2Vent

Estimates suggest that, globally, 936 million people have mild to severe Obstructive Sleep Apnoea (OSA). In patients with OSA, the walls of the throat relax, causing the airway to narrow, interrupting normal breathing. This can regularly disrupt sleep, eventually having a big impact on quality of life and increasing the risk of developing other conditions. Because OSA events happen during sleep, some patients are unaware of the problem, with signs often first noticed by partners, family, or friends. Symptoms include loud snoring, noisy and laboured breathing, and repeated interrupted breathing.

exploring conventional treatment

Traditionally, patients with OSA are routinely prescribed continuous positive airway pressure (CPAP) to treat the condition. A CPAP machine uses a hose connected to a mask to deliver a continuous stream of air pressure in order to assist with breathing while asleep. Whilst CPAP machines are able to effectively prevent interruptions to sleep and lower the risk of cardiovascular issues, they do have their drawbacks. These include:

• Discomfort and difficulty falling asleep

• Anxiety and claustrophobia

• Nasal congestion

• Dry mouth

• Nosebleeds

• Skin irritation caused by the mask

• Bloating caused by air

Sometimes, patients choose to stop using their CPAP machine because of these sideeffects. Additionally, patients who breathe through their mouth when they sleep or have a blocked nose will require a mask which covers their nose and mouth for it to have an effect. Whilst they are an effective treatment type for many patients, they rarely provide a truly good night’s sleep. As such, Open Airway Dental Solutions Ltd. (OADS) offers an alternative.

introducing the o2vent™

O2Vent™, the innovative solution from OADS, offers OSA patients a comfortable, discreet, and effective solution for sleep apnoea. O2Vent™ is a device which is worn like a mouth guard and is 3D printed using durable nylon, customised to fit each patient. It is able to deliver airway stability due to two special features.

1. It moves the lower jaw forward to encourage a more open airway

2. It incorporates an airway channel to ensure air is delivered to the back of the throat

Traditionally, when an OSA patient has a nasal obstruction, oral appliances have

not been considered an appropriate solution. This is because they might limit the capacity to breathe properly through the mouth, and therefore patients may not tolerate it. Because the O2Vent™ incorporates an airway channel into each device, unobstructed air is able to flow freely through the device to the back of the throat. This enables the air to bypass usual areas of obstruction like the nose, tongue, and soft palate.

a good night’s sleep

Ultimately, the ability to offer patients a good night’s sleep is a crucial outcome of OSA treatment. For patients who often breathe through their mouth, struggle to sleep with a CPAP machine due to discomfort or anxiety, or are experiencing a number of negative physical side-effects, offering an alternative treatment option is incredibly valuable.

O2Vent™ is already a patient favourite in Australia and Canada, and is now available

in the UK. This is a great opportunity to provide patients who believed that CPAP was the best or only option for them with an alternative. Plus, for patients who require an enhanced lip seal to avoid excess saliva build-up or dry lips, the O2Vent™ Optima Mini’s design does not feature an airway extension, for an even more discreet appearance.

A survey of O2Vent™ users in Australia and Canada, carried out in 2019, revealed that 95% of patients found the device easy to clean, 91% would continue to use the device, and 80% found it easy to adjust to using their O2Vent™.

OADS understands the needs of OSA patients. This is why they have developed this innovative device, which aims to meet the requirements of patients who are unable to tolerate traditional CPAP treatment, helping to protect their long-term health, and improve their condition and their sleep in the long term.

For more information, please visit: https://openairway.com/ n

about the author Justin smith, Commercial director, open airway dental solutions UK ltd.

Supporting dentists from all walks of life

For any dentists looking to permanently move to the UK from overseas, or those who have already, finding the right job is an essential part of a successful experience. Though true for any clinician, navigating the additional challenges that can arise when relocating means that the team around you and the support available is even more important.

Though she moved to the UK in 2016, Dr Despoina Christidou realised in the following years just how crucial the team she worked within was for her job satisfaction. Here she shares her story:

“I qualified from the Aristotle University of Thessaloniki, Greece, and practised dentistry in the country for the next 31 years, including in my own private practice. However, when my personal circumstances changed and challenges arose with the organisation, I took this as an opportunity to try something completely different.

“I had been thinking about relocating for some time and Scotland was really appealing. I was interested in the history of the country and both the scenery and people made the move attractive. I moved to Scotland almost 9 years ago now and I have not been disappointed.

“At the time that I relocated, the greatest challenge was learning all the new regulations and requirements. I had not been aware of several rules until working in a UK dental practice so there was a steep learning curve in the first 6 months. During this and the next few years, I learnt exactly what it is that

I value most in the places that I work. It’s not the instruments, the technologies or the look of practice that makes the biggest difference for me – though these are still important – it’s the team around me.”

In 2023, Despoina was looking for the next step to further her career in Scotland. This is when she turned to Clyde Munro.

“When I came across a vacancy at KF Dental in Edinburgh with Clyde Munro, I was instantly interested,” she continues.

“My initial impression and further research suggested it would be a great place to work, so I took my chances and moved over – and I’m very happy that I did!

“The team has been brilliant. I really appreciate the way that the practice manager runs the practice and helps everyone who works there. There is always support available and motivation for all the team; I love that. I have also been checking the Training Academy courses as I am very keen to make the most of these, with different topics covered throughout the year.”

For any clinicians thinking about permanently moving to the UK, or those who have already done so and are considering their job options, Despoina emphasises the importance of the team once again:

“It’s essential to look for a good team in the practice and the wider organisation to support you, motivate you and help you accomplish everything that you want to. I have found this to be true across Clyde Munro so I would certainly recommend them to colleagues.

“I’d also like to express how good it is living in Scotland. You have the opportunity to do many things and explore everything the country has to offer around work!”

If you are new to the UK and looking to work as a dentist, Clyde Munro understands the intricacies that come with relocating from overseas. In practice, we provide the specific training necessary for working within dentistry in Scotland. We offer webinars to update your knowledge and ensure access to mentors who can assist with clinical cases. Not only do they provide one-to-one support and case discussions, but they also supervise your professional development to ensure you’re on the right track. In

addition, relevant information and support is offered as clinicians become familiar with the SDR system in Scotland, which is very different to the working structure for dentists in other countries.

Outside the practice, Clyde Munro provides assistance with opening a Scottish bank account, finding appropriate accommodation and even sourcing hire cars to help clinicians get settled.

Whether you are new to the UK or searching for your next UK-based role, find out how Clyde Munro could help you enjoy the next chapter of your life.

Find out more about the career opportunities and vacancies available with Clyde Munro today at careers.clydemunrodental.com. n

Aligners for simple aesthetics in comfort

Reports indicate that growing aesthetic sensibilities have led to an increase in demand for orthodontic treatment, with the global market for clear aligner therapy estimated to grow at around 30 percent by 2030. The UK demand for straighter – and whiter – teeth may soon outstrip the US market, with patients increasingly preferring clear aligner orthodontic treatment over fixed appliances, where appropriate, due to their superior aesthetics during active treatment.

Maintaining cleaner, healthier, whiter teeth during treatment

While aligners are considered more hygienic than fixed appliances by design, keeping them fresh can be a challenge. Even where patients do exercise the recommended care, aligners can impede the natural properties of saliva. Saliva has significant anti-microbial properties, and keeps the teeth cleaner throughout the day by flushing away debris, helping to avoid staining. Studies have found that without its flushing effect, bacteria and biofilm remains on the surfaces of aligners, risking demineralisation, which will cause unsightly and damaging tooth erosion.

Studies have shown that some patients may feel embarrassed to remove aligners during meals, especially those fitted with composite pontics, and disregard the harmful effects of eating food, or drinking certain beverages while wearing their aligners. Food accumulates in aligners quickly leading to dental build-up, and sugary drinks do particular damage to tooth enamel. Many popular drinks contain dyes or tannins that will accumulate to leave unsightly stains on the teeth as well as the aligner.

Curaprox Aligner Foam, created by Swiss oral health brand, Curaden, is a highly effective new product to help patients manage their oral care while undergoing alignment. It helps to prevent the build-up of plaque, protecting,

moisturising and restoring the enamel, all in a pleasant-tasting and convenient package. It combines a unique set of ingredients to enhance the natural benefits of saliva, keeping the mouth conditioned and fresh, strengthening teeth, and combatting harmful bacteria, while the aligner does its work.

The formula contains Curaprox’s enzymatic system, with amyloglucosidase and glucose oxidase, to stimulate the mouth’s natural saliva production, preventing plaque and breaking down

sugars before they can demineralise and damage the enamel. The inclusion of hydroxyapatite additionally supports the healing of dentinal tubules, keeping teeth stronger and whiter.

Other powerful ingredients, including hyaluronic acid and levulinic acid, work together to condition, moisturise and protect the teeth from a number of bacteria, further reducing the risk of dental plaque building up, discolouring and damaging teeth.

Curaprox Aligner foam also harnesses the natural power of magnolol and Citrox® to fight the bacteria that cause plaque and tooth decay. Magnolol, found in the bark of the magnolia tree, is a bioactive compound with strong antibacterial effects against streptococcus mutans, which is heavily involved in biofilm formation and the development of dental caries. The addition of Citrox® – extracted from bitter oranges – with cyclodextrin and polylysine, combines antibacterial, antioxidant and antiinflammatory properties to keep teeth fresh, clean and healthy.

Curaprox Aligner Foam cleans and protects teeth as part of an easy routine, while helping to maintain the aesthetic benefits of clear aligners. Conveniently pocket-sized, only a tiny amount of foam is required after brushing, to provide a cleansing and restorative film that fights plaque and naturally protects teeth.

For more information, please visit curaprox.co.uk and curaden.co.uk 

Whitening in under 18s – A case presentation

A10-year-old patient was externally referred to the practice to see if Dr Kiran Shankla could help with her discolorations (Image 1,2 and 3).

On initial meeting the patient was very shy, reserved, and lacked confidence to speak without looking at the floor.

Prior to carrying out any examination a detail, history was taken from the patient’s mother to help establish a diagnosis for the discolorations. The following questions were asked:

• At what age did you notice changes to the teeth? As soon the teeth erupted.

• How many teeth are involved? Only the front upper four teeth.

• Did you have any issues pre/peri/ post-natal? The patient was born six weeks premature and was a twin. Her twin brother also suffered from discolourations.

• Do you think the discolourations are getting worse or are they remaining the same? The white spots have stayed the same but there is now more brown pigmentation.

• Does the presence of these discolourations impact your child’s life? Yes, my daughter is getting severely bullied at school, which has caused her to become very self-conscious and upset and is having a large impact on her mental health.

• Have you had any dental treatment prior to today? No, my current dentist has said the only option was to drill tooth tissue or wait until she is 18 to have veneers placed.

It is very important to ask specific questions to help diagnose and identify the best treatment options as spots, which have been present since birth, are more difficult to treat than spots that appear later in life. It is also extremely important to understand the physical and mental effects associated with discolouration and the emotional effect on a child resulting from delayed treatment.

Test results

An intraoral examination should then take place. When carrying out an intraoral exam for whitening, the following areas should be assessed:

• Dark teeth: If any teeth are darker than the surrounding teeth, a peri-apical radiograph should be taken to establish the cause (e.g. post RCT treatment/ Calcific Metamorphosis)

• Recession defects: Patients should be informed these areas will not change colour

• Signs of bruxism: These patients are much more likely to suffer from sensitivity during whitening, so must be pre-warned

• Oral hygiene: This must be optimum prior to starting whitening to get the best results

• The number of deciduous/adult teeth present: If treatment is being carried out before all adult teeth are present, the patient must be informed that they will require future whitening to allow the newly erupted teeth to match the teeth which have been whitened In this case, a diagnosis of Localised Fluorosis was made.

Treatment options

1. Monitor: As the patient was getting bullied for her teeth, this was not a viable option

2. Whitening: The only non-invasive option for the treatment of tooth discolorations

3. Whitening + Icon: A combination technique to help camouflage and remove discolourations

4. Composite bonding: Would require drilling of the natural tooth tissue

The treatment options for this case were discussed in detail with the patient and mother. Currently, the whitening of teeth in under 18-year-olds is illegal in the UK. The GDC states, ‘Products containing or releasing between 0.1% and 6% hydrogen peroxide cannot be used on any person under 18 years of age except where such use is intended wholly for the purpose of treating or preventing disease.’

Given the patient was being severely bullied at school and she fulfilled the GDC’s criteria of whitening for under 18-year-olds, a decision was made to whiten the teeth followed by a round of Icon Infiltration to seal the porosities.

Treatment plan

The following treatment plan was made:

1. Oral hygiene instructions and scaling with a dental hygienist

2. 3D scan to construct upper and lower whitening trays

3. At-home whitening, carried out for 2 weeks using 10% Carbamide Peroxide – Polo Night (Images 4 and 5)

4. Icon Infiltration to seal the porosities

Results, conclusion, summary points

The patient carried out at-home bleaching for a period of two weeks. She reported minimal sensitivity and got on well with the whitening trays. Polo Night is my whitening of choice due to being fluoride-releasing and having a high-water content, minimising sensitivity and having a neutral pH.

As you can see from the images, a great result was achieved with the whitening alone. A round of Icon Infiltration was carried out after to remove any white spots (Images 6, 7, 8).

As professionals, we have a duty of care to provide the best possible treatment while protecting teeth from unnecessary harm. Young patients who suffer from discolouration are always very motivated when whitening, and the physical and mental changes of this simple treatment plan are life changing.

References

1. Marty M. Time Loss. JDR Clin Transl Res 2016; 20: 1–2.

2. Haywood V B. History, safety and effectiveness of current bleaching techniques: applications of the nightguard vital bleaching technique. Symposium on Esthetic Restorative

Materials. 1993. November: 82–92.

3. Li Y, Greenwall L. Safety issues of tooth whitening using peroxide-based materials. Br Dent J 2013; 215: 29.

4. L H. Greenwall. Tooth Whitening Techniques Second Edition. Taylor and Francis: London, 2017

5. Greenwall-Cohen, J, Greenwall, L, Haywood, V & Harley, K 2018, ‘Tooth whitening for the under-18-year-old patient’, British Dental Journal, vol. 225, no. 1, pp. 19- n

About the author

Dr Kiran Shankla is an award-winning Dentist who is currently based in Reading, UK. She completed a postgraduate Restorative Masters from UCL Eastman in 2020 and has had her work published nationally and internationally. She won the Best Young Dentist at The Dentistry Awards 2022 and works very closely with the most advance dental companies and technologies to help provide the highest standard of care to her patients. She has a particular interest in white and brown spots lesions and receives referral in practice for the treatment of these complex cases. Follow her on Instagram @shanklasmiles

7. Post Op
8. Post Op
4. After 2 weeks of bleaching 5. After 2 weeks of bleaching 6. Post Op image after Icon
1.Initial Presentation 2. Side view
3. Initial Presentation – Contrastor

Defining excellence in restorative dentistry

In an era where the demands on dental professionals are ever-evolving, Tipton Training’s Level 7 Certificate in Restorative Dentistry stands out as a beacon of excellence and innovation.

This flagship course, spread over a oneyear period, offers a blended learning experience that integrates theoretical and practical face-to-face sessions, with dynamic online lectures and seminars.

Spanning 15 comprehensive modules, the course is a deep dive into the essential topics that are pivotal for a dentist’s success. Among these, Occlusion, acclaimed by the Founder and Clinical Lead, Professor Tipton, as the cornerstone of dentistry, receives significant attention. This focus is reflective of the course’s commitment to foundational knowledge, alongside coverage of other critical areas such as Articulators, TMJ Splints, Tooth Preparations, and Digital Workflow, to name a few.

The combination of 12 in-person training days and three online Zoom sessions over the course of a year provides dentists with the flexibility to participate in the course without needing to take extended time away from their practice. The primary objective of the course is to ensure that everything learned can be immediately applied into practice the very next day.

The course’s ethos is centred around enhancing confidence and refining restorative techniques under the mentorship of expert tutors, including Professor Tipton himself. It is this aspect that alumni frequently highlight as transformative. Dr Jacob Howard from London reflects on his experience, saying,

“Enrolling in the postgraduate restorative dentistry course was transformative for my practice. The comprehensive curriculum, hands-on experience, and expert tutors provided invaluable skills in advanced restorative techniques. This course exceeded my expectations, enhancing my professional competence and elevating patient care in my dental practice. Highly recommended.”

Indeed, the course goes above acquiring new knowledge; it is designed to revolutionise clinical skills and enhance abilities. Dr Sahar Sadiq from Newcastle echoed this sentiment, stating, “I enjoyed the course and learning a wealth of knowledge from various tutors. The restorative course has given me more confidence in planning and performing more complex treatment plans and given me renewed confidence in my dental abilities.”

Furthermore, the recognition and endorsements from esteemed institutions add a layer of prestige to the certificate. Tipton Training stands out as the pioneering recipient of Level 7 status from EduQual. Additionally, it holds the distinction of being the first and only private dental training institution accredited by The Royal College of Surgeons of England, which sets a benchmark for quality and excellence in dental education. This recognition is not just a badge of honour but a testament to the course’s commitment to upholding the highest standards of dental education.

Dr Anna Graham from Newcastle describes the course as, “An excellent one-year course if you are looking to improve your overall restorative knowledge and skills in all areas of restorative dentistry.” She highlights the benefit of receiving specific advice on one’s

own cases at any time and the first-class mentoring from the team at Tipton Training.

Dr Emily Davison offers a perspective on the course’s foundational impact, stating, “Attending the Tipton Course has been eye opening and has changed the way I practice my dentistry every day. I’m really glad I went on this course early on in my career, as the teaching has filled many gaps I had in my understanding when I left university. It has provided an excellent foundation to begin to tackle more complex treatment under mentorship and guidance. I feel more confident as a practitioner.”

As the dental landscape continues to evolve, Tipton Training’s Level 7 Certificate in Restorative Dentistry stands as a testament to the power of high-quality education. It not only equips dental professionals with the skills and knowledge to excel in their field but

also empowers them to provide their patients with unparalleled care. This course is not just an educational journey; it is a pathway to excellence in the field of restorative dentistry.

Tipton Training’s next Level 7 Certificate in Restorative Dentistry courses are due to start in the below locations and have limited spaces remaining.

• London - 10th april 2024

• Manchester - 12th april 2024

• Birmingham - 20th april 2024

• Belfast - 1st June 2024

• newcastle - 12th June 2024

If you are interested in finding out more information about the Level 7 Certificate in Restorative Dentistry, please visit Tipton Training’s website, or get in touch to register: 0161 348 7849 www.tiptontraining.co.uk enquiries@tiptontraining.co.uk n

How to put Kaizen into practice from the bottom up

The dental sector has a strong focus on learning and improving. We love a training course, conference, or event where we can network, share, listen, harvest valuable CPD, and come away with some thought-provoking ideas or areas for further exploration. This is all in the spirit of Kaizen – a philosophy I apply to everything in my life. I refer to it often so forgive the repetition if you’ve read it here before – it’s a process of continual, incremental improvement.

A Japanese theory, Kaizen is used by many household names: Toyota, McDonalds, FedEx, Nestlé, Sony, and Panasonic, to name just a few. Toyota uses it for refining a particular process: improving it, then working out how to complete the process with fewer people. This, in turn, frees up some of the team to take their knowledge and talents to other parts of the business. This is a ‘bottom up’ management style – as opposed to being told what to do (‘top down’). Toyota has been doing this successfully since the 1950s alongside its five pillars of virtue: “teamwork, personal discipline, improved morale, quality circles and suggestions for improvement”. This approach has taken it from the production of the Corolla to the Lexus.

Understanding how other organisations perfect their craft makes for fascinating study. And there’s almost always something we can take away for ourselves. Systemising improvement is something we can put into practice as dentists but it’s key that we involve everyone in the team as part of the aforementioned bottom-up culture. Ask your team members to identify the reasons for a particular problem. Ask them to come up with a way that will resolve it. This gives them ownership of the new process. They’ll also know if the proposed solution is feasible within their day-to-day workload. Check in periodically for a level of accountability without micromanaging. I’m convinced this is the basis for introducing successful, incremental improvements in our daily work. It combines Kaizen with a few other management techniques (PDCA: plan-do-check-act, as an example). Gemba is another interesting Japanese concept. It means ‘actual place’ and states that, to resolve an issue, you should go to the actual place where it is happening. Doing the Gemba Walk means you are in situ, looking at where something can be improved. Imagine your stock levels are becoming erratic. You

might visit the stock cupboard and view a chaotic mess, and then the improvement process can begin. Gemba relates well to dentistry as it focuses on the place where value is created – and where more so than in the dentist’s chair?

Changes or improvements of any kind mean a cultural shift, and that takes time, investment and understanding. The more I read about successful organisational structure, the more I see that it involves all of the usual buzzwords: teamwork, goal-setting, and accountability but carefully layered and managed so everyone is working in a way that suits them and benefits everyone.

Heeding Ruskin’s words

According to a new GDC report, only 15% of dental practices are fully NHS, with no private care. A further 27% devote more than three quarters of their time to NHS care. Whilst exact figures are difficult, there is no doubting the direction of travel.

It is now 31 years since I completed the first stage of my move from a 100% NHS to a mixed-income practice. The transition, which took about a year, coincided with the birth of our son. The spark for change was not purely financial but it was a consideration. I am a “baby boomer” and had been state educated through school and university. My student overdraft

was repaid within a month of starting work and I presumed that I would work in NHS practice until I retired.

The change happened when I realised that I could not trust the other party in the contract. They were able to write, re-write and interpret the terms. After imposing a new contract, we obeyed, worked hard – too hard – so, a fee cut and clawback were imposed.

My belief in, and willingness to work with, the minions at the Department of Health vanished in the time it took me to read their letter of impending actions.

When I spoke to some of my patients about what had happened and the changes I intended to make, I was surprised at the support I received from them. They clearly valued the care we gave and understood my predicament.

In my “family” practice, I chose to carry on providing NHS care for children, which helped smooth the changes.

I printed – and had framed –two quotes from the Victorian pre-Raphaelite philosopher and polymath John Ruskin. They hung in our patient area in plain view

and summed up our view on the service we provided.

“ It’s unwise to pay too much, but it’s worse to pay too little. When you pay too much, you lose a little money – that’s all. When you pay too little, you sometimes lose everything, because the thing you bought was incapable of doing the thing it was bought to do. The common law of business balance prohibits paying a little and getting a lot – it can’t be done. If you deal with the lowest bidder, it is well to add something for the risk you run, and if you do that you will have enough to pay for something better. ”

About the author

Dr Dhiraj Arora has two dental practices in Twickenham and Gerards Cross. He is also a Dental foundation Training educational supervisor for Health education england, Honorary Lecturer in endodontics at QMUL Masters programme, and runs his own courses via evo endo in Central London for general dentists. His background spans nHs and private settings, from Harley street to community HealthCare.

“ There is hardly anything in the world that some man cannot make a little worse and sell a little cheaper, and the people who consider price only are this man’s lawful prey. ” I grew proud of the fees we charged and the service we provided, and never attempted to fudge them or to hide little extras. There were no surprises; patients knew ahead of time how much things would cost. For extensive course of treatment, we offered staged payments and were upfront with everybody. Of course, some patients decided to shop around. That was their prerogative but those who chose the cheaper option elsewhere often returned, and were welcomed back. The rules were ours, the choice was theirs (within reason).

When I work with clients who are making the business and philosophical change from state controlled to independent practice, I always share with them Ruskin’s words and encourage them to take them on board. n

There’s so much to learn and I am keen to continue to find out more. n

Maintain a culture of quality care

Dr nishan Dixit reflects on what private dentistry means to him and how comprehensive training with a globally-leading educational centre is enabling him to deliver care in his patients’ best interests

Quality dentistry can be determined in a number of ways. For me, it is a combination of ethics and ethos, and involves delivering the best treatment outcome using the most appropriate techniques and technologies, while ensuring a positive patient experience.

I believe that you are shaped as a clinician by your peers, mentors, the events you attend and the courses you take. Any form of training should inspire you to provide better patient care. The quality of your dentistry must also be continually assessed – self-critique is key. This is one of the many reasons why clinical photography is so important; the images are good for social media, but they also provide the perfect way to assess and reflect on your work and consider where you could improve.

To maintain the high standards I strive for, even after almost 30 years in practice, I remain passionate about continuously developing and refining my clinical skills. Remaining up-to-date with the latest research and evidence-based techniques is crucial. Throughout my career I have always attended as many courses and programmes as possible, to enable me to bring quality to different clinical areas. With a special interest in cosmetic and restorative dentistry, my educational journey led me to the Kois Centre in the US.

This is an expert educational facility renowned for delivering advanced dental education. Led by Dr John Kois himself, the faculty consists of highly knowledgeable

and talented instructors. The full curriculum is comprehensive, covering everything from diagnosis to treatment planning, occlusion, restorative, implant and periodontal treatment. The teaching is evidence-based, so you learn from the latest research in the field, with a hands-on element ensuring practical skill development. The courses are taught in small groups within a collaborative learning environment, which I find valuable. I attended the treatment planning course a few years back and most recently joined the functional occlusion programme. The courses are always intense, with 11-hour days and highly involved topic discussions. However, the ability to constantly mix with peers for that time, share ideas, and learn from each other as well as from the instructors makes it a very worthwhile experience. They think of everything –even your snacks are customised in your personal learning area! The courses are more in-depth than anything else I have attended around the world. They also focus on real-life dentistry so you can apply what you’ve learned in practice immediately.

Of course, training like this requires a substantial investment of time and money, but this is necessary for those who wish to continue progressing by learning from a master in the field. It’s therefore vital to choose your educational pathway carefully and ensure that you complete training courses of sufficient length and depth for the topic at hand. Single-day courses may have their place, but you need to be utilising much more comprehensive training

to successfully introduce new skills. I am certainly a better dentist for having completed some of the Kois Centre programmes and that’s what it’s all about. As clinicians, we want to do our job well, to advance our skills and progress our career. But ultimately, our priority is always providing the best care we can for patients. Greater knowledge, understanding of clinical techniques, and exposure to innovative technologies, all mean we can offer more comprehensive and better tailored treatment, designed for longevity. Sadly, many of our colleagues are faced with the incredibly difficult situation of providing dental care in a restrictive system that doesn’t facilitate the time or resources to access the best materials and techniques. The UDA system in the UK simply does not lend itself to the provision of comprehensive quality dentistry. Too much is expected from very limited resources in a poorly thought-out system. Clinicians are being encouraged by their profession to take a holistic approach to care – including educating patients on the links between dental and systemic health, as well as focusing on prevention and the management of dental disease so as to stop or slow down its development. However, the current NHS dental contract with its limited financial resources restricts access to quality products, modern aesthetic materials and techniques, new technologies and that precious resource of time. For these reasons and more, my desire to provide the highest quality

care that’s in the best interests of my patients means that I now offer solely private dentistry.

If I had to define one of the most important things I have learnt throughout my career, it’s that to do something once you have to do it right the first time. That means taking your time to learn the techniques fully and then perform them properly, in the appropriate clinical situations and in an environment that allows you to deliver your best for your patients. As dentists, we have to use the evidence in front of us, so we have to make sure we’re operating from the most recent studies regarding treatment and planning protocols. This, alongside good training, is how we ensure quality dentistry.

For more information on the support available to professionals working in the private dental sector, connect with the BAPD at www.bapd.org.uk n

About the author Dr nishan Dixit is the founder of Blue Court Dental, a past president of the British Academy of Cosmetic Dentistry (BACD), a full member of the British Association of private Dentistry (The BApD), currently on the safe smiles and oral Health foundation professional societies panel, and serves on the UKi GDp Align Advisory Board.

The foundations of a fulfilling and prosperous dental career

The transition from university student to foundation dentist (FD) to dental associate in a busy practice involves a steep learning curve for professionals. At a time when you are consolidating and expanding your clinical knowledge and skills, you must also become familiar with a wide range of administrative, practical and regulatory elements.

To avoid becoming overwhelmed and to grow as a clinician in the most efficient and enjoyable way possible, it is essential that you find a supportive environment in which to progress. The people around you, the mentorship you receive and the growth opportunities available to you, are all crucial. Only with all of these elements can you lay strong foundations for a long, prosperous and fulfilling career in dentistry.

At Rodericks Dental Partners we offer more than a career. We understand the pressures you face and the support you need to successfully complete the transition to dental associate. That’s why we offer a unique FD+1 programme – a year-long initiative that provides an array of benefits specifically tailored for newly qualified dentists as they navigate their first year in practice.

What can you expect from the Rodericks Dental Partners FD+1 programme?

Continued education

High-quality educational opportunities are provided as part of the FD+1 programme, designed to help you enhance your skills and remain updated on industry trends and regulations. A comprehensive calendar of in-house CPD events is available, covering an extensive range of topics, from composite bonding and other restorative techniques, to endodontics, orthodontics and oral surgery. This is an excellent opportunity to further your knowledge and skills in wide ranging areas of dentistry.

Mentorship

Having a mentor is essential, particularly when learning new skills and taking on more complex cases. The FD+1 programme provides direct access to an allocated mentor who has extensive experience of teaching and supporting foundation dentists in their early careers. The structured mentoring programme means that you can engage with your mentor regularly throughout the year, via email or virtual platforms, face-to-face sessions and during hands-on training. While learning new skills and applying them to practice, or approaching more difficult cases, your mentor will offer bespoke advice and provide a safety net that ensures the highest clinical standards for all of your patients. Your mentor can also help you adapt your personal development plan for a well-rounded education in your early career.

networking

Of course, your mentor is not the only individual supporting you through this journey. With Rodericks Dental Partners, you have access to an extensive network of clinicians, support team members and experts in their relevant fields. This means there will be plenty of like-minded clinicians to turn to for advice, to share experiences and bounce ideas off of. Our clinical teams also include some of the most talented and highly respected specialists in the UK, who you may wish to collaborate with as you learn the necessary skills for advanced cases.

Career Development

The whole of the FD+1 programme is designed to accelerate your career development, providing a platform for exposure to numerous dental specialties and career paths. As you expand your skills, you can see which areas you enjoy most and what you may like to focus on in the future. There are also several co-funding initiatives available in addition to the aforementioned internal CPD programme. For example, you can take advantage of discounted courses with external training providers – including Invisalign and the Smile Academy – for further career progression in your chosen field. All of our FD+1s can also access support in building private dental services, boosting your earning potential while further diversifying your skills.

professional support

Complementing the clinical support and mentorship offered to all our FD+1s, Rodericks Dental Partners affords the benefit of help in non-clinical areas. Professional services are available to include everything from administrative assistance to, complaint handling and business development resources. You are never on your own and there is always an expert to turn to if you need advice or help in a certain situation.

Here for you

Ultimately, we want all of our FD+1 clinicians to get the very best start to their career at Rodericks Dental Partners. We make support, motivation and development opportunities a priority through our dedicated FD+1 programme – to find out more contact our team today!

To find out more about Rodericks Dental Partners and our FD+1 scheme, please get in touch via our website rodericksdentalpartners.co.uk/careers/contact or email recruitment@rodericksdental.co.uk n

author

Envision your future practice

With the new Carestream Dental CS 8200 3D Family

State-of-the-art CBCT imaging is now within reach and without compromise. Explore our family of solutions including the new CS 8200 3D Access and the CS 8200 3D Neo Edition.

Discover more confident diagnosis, broader treatment options and better patient engagement with advanced imaging technology that boosts in-office procedures and provides the chance to expand your business.

Learn more at Carestreamdental.com

Exhibition season begins

Exhibition season has started – four major exhibitions within three months! BADN was at the North of England Show in Manchester earlier in March, as well as the BDIA Dental Showcase later in the month. Somewhat sparse attendance at both shows, together with the absence of major dental companies such as Colgate, Oral B, and Phillips does rather beg the question: is there really a need for so many shows?

Obviously, exhibitors don’t have the budgets to attend every show, so just pick the ones they think will show the best return. Dental professionals on the other hand are getting weary of trudging around so many show floors with so little to offer!

There is a definite trend towards exhibitors being banks, financial advisors and other non-dental companies, which might be of interest to some dentists, but not so much for other members of the dental team –particularly not for dental nurses – at either of the exhibitions so far this year.

Except, of course, for the BADN stand! Honorary President Joan Hatchard was there, with Jacek – our IT & Comms officer – and myself, handing out BADN bags to current and new members, answering questions, giving advice, signing up new members, networking with other dental professionals, and just chatting.

The CPD programme at Showcase didn’t offer a lot for dental nurses either – no Dental Nurse or DCP Theatre as at some other shows (possibly because the new advisory board for Showcase doesn’t include dental nurse representation). Former BADN Chairman Dr Debbie Reed did speak in the CDO Zone on her Dental Nurse Recruitment & Retention Survey, conducted in conjunction with BADN, however.

In addition, Laura Hardy’s presentation on behalf of BADN in the Oral Health Theatre, Navigating the Future: A Dental Nurse’s Journey into Dental Implants, was very well received.

We signed up plenty of new members – our £5-off discount during the show might have helped – including new student associate members. Training providers interested in signing up their students automatically, as many are now doing, are invited to contact me for more info at pam@badn.org.uk.

And of course we are always delighted to meet members. Many come along just to chat.

If you couldn’t make it to Showcase at London’s ExCel, BADN will also be at the Dentistry Show at the NEC in Birmingham in May. We will have a

stand right next door to the Dental Nurse Lounge, while also chairing the Dental Nurse Forum. Sign up for our

Who – or what – is ADAM?

Ihad the privilege of attending – and presenting –at the BDIA Dental Showcase at Excel during the penultimate weekend in March. What a whirlwind of excitement and innovation it was! Among the bustling crowds of dental professionals, ADAM stood tall, ready to shine a light on the vital role of Practice Management and the unparalleled support we offer to managers and owners alike.

Gratitude pours forth from ADAM for the gracious invitation to this event. As always, we seized the opportunity to make our presence known, to reconnect with old allies, and to forge fresh connections within the dental community. Our stand was a hive of activity, drawing in colleagues, members, and managers who have long been part of the ADAM family. With each familiar face, we exchanged warm greetings and, yes, perhaps our laughter rang out a tad too loudly across the exhibition hall. But who can blame us? A little joy goes a long way, after all.

Yet amidst the camaraderie, a curious thought niggled at our minds: despite our steadfast support and unwavering presence, there are still those who remain unaware of the benefits bestowed upon ADAM members. It’s a revelation that prompts us to consider turning up the volume on our message, to ensure that no one misses out on the wealth of resources at their fingertips.

As managers attend such events alongside their practice owners, the strain etched upon their faces speaks volumes. They grapple with the weighty responsibilities and endless demands of their roles, seeking answers to questions like, “How can you assist me?” or “What exactly do you do?” And while

we eagerly extol the virtues of ADAM membership, it’s the inevitable follow-up question that truly tugs at our heartstrings: “What else do I get?”

In the presence of PMs, receptionists, compliance managers, and the like, this query serves as a poignant plea for support. After all, what more could one desire at a mere £120 per year? That’s £10 per

e-newsletters at www.badn.org.uk to receive info on this and other events, including our Coffee Catch Ups. n

About the author pam swain is Chief executive of BADn

month, £2.30 per week, or a trifling 33 pence per day! It’s a nominal fee for the invaluable support and resources we provide, easing the burdens of what is undeniably one of dentistry’s most demanding roles.

But let us turn the tables, shall we? What, indeed, do you receive from your PMs and managers? Hardworking professionals, dedicated to ensuring the compliance, efficiency, and happiness of your practice. They are the architects of growth, the guardians of prosperity, and the generators of income.

And what else, you ask? Loyalty, commitment, appreciation – these are but a few of the intangible treasures they offer. They sacrifice sleep for your peace of mind, endure sleepless nights to shield you from stress, and provide unwavering honesty and support through every trial and triumph.

So, to those who inquire, “What else do I get?”

Allow me to answer with a resounding chorus: You receive nothing short of dedication, determination, and unwavering support from your PMs and managers. They are the unsung heroes of your practice, and for that, they deserve your utmost gratitude and respect… and to be given the gift of ADAM membership. n

About the author

Lisa Bainham is president at ADAM and practice management coach at practice Management Matters.

former BADn Chair Dr Debbie reed

Complete imaging workflow, from a single image plate to a panoramic machine

Integrated imaging solutions, designed to complement each other

Reassurance of German manufacturing standards UK based technical support

@durr_dental_uk Duerr Dental UK For more information visit www.duerrdental.com/en/products/imaging

Will you be using amalgam in the future?

Amalgam use in dentistry is not a simple topic to traverse, but Jason Wong, Interim Chief Dental Officer for England, and Chris McConnell, Past President of the BACD and Director / Co-Founder of Real Dentist Academy, came together to do so for an engaged audience at the BDIA Dental Showcase in London.

Together, they presented ‘The Big Amalgam Debate: What is the truth currently?’, which was chaired by Edmund Proffitt, Chief Executive of the BDIA. It was a timely conversation that needed to be had. Following the fifth meeting of the Conference of the Parties to the Minamata Convention (COP-5) in October/November of 2023, there was an agreement to phase-down the use of dental amalgam, and not allow mercury use in cosmetics from 2025.

Whether dentists are for or against the plan, there was still some uncertainty both about the requirements of dentists in England and the UK at large, as well as some of the alternatives available to clinicians. Jason and Chris tackled these topics and more in their 45-minute session within the Clinical Theatre.

“Phase-down has always been the position”

With some palpable confusion surrounding the obligations of dentists at present, Jason set out to clarify the legal position of the UK. Amalgam was the most “controversial topic” at COP5, with initial plans to cut out amalgam use by 2030. A few weeks before the conference, in a move that was “slightly surprising” to the Interim Chief Dental Officer, a proposal was made to bring the phase-out forward, with allowances for medical exceptions as per a clinician’s judgement.

Jason was clear that he stood by the idea of a phase-down rather than an immediate phase-out of amalgam use. He acknowledged previous considerations by a former Chief Dental Officer on whether a stance leaning towards phase-out should be taken, but he was adamant, “Phasedown has always been the position.”

The focus on reducing amalgam use comes after a development in knowledge about its environmental impact, and that of mercury in particular. However, Jason felt there is

still a space for amalgam in dentistry.

“Whilst the Minamata Convention was about the environmental impact of amalgam, we have very little data on the alternatives,” he said. “There is insufficient research for us to move from one material, when we have not done the research on the other.”

Jason encouraged further research on the environmental impact of glass ionomers and composites as part of the UK’s move towards an amalgam phase-down.

On the implications of Brexit, Jason emphasised, “The EU position will not affect the position of England as far as dental amalgam is concerned.”

“You can do nHs dentistry without amalgam”

The alternatives to amalgam and their use in modern dentistry, especially with regards to NHS dental care, was clearly of significance. Chris was in favour of not using amalgam wherever possible. “No amalgam in dentistry is more about tooth preservation,” he said to the audience.

He asked the all-important question, are there suitable alternatives to amalgam? “100%,” he stated, “it’s called composite, and more specifically bulk fill composite.”

Chris discussed clinical studies that found a recurrent complication in some composite restorations –secondary caries. However, he insisted that this was largely preventable in many cases. “It is the skill of the operator that is causing the issues of secondary caries,” he said, and spoke further on how clinicians can optimise their restorations for an effective and reliable restoration.

After recalling the development of composites, he displayed the differences between each solution, and how a dentist can make the most of what they have to hand. One part of the workflow in particular is not looked at hard enough according to Chris, which is that of light curing.

“When is the last time you checked the output of your light?” he posed to the audience, as he reiterated the importance of consistently checking your systems.

Where some clinicians may note the potential economic ramifications of replacing amalgam use with solutions such as composite, Chris was quick

to warn against how this argument is framed. He cited the GDC principle 1.7.1, which states that patients’ interests must be put before any financial gain.

Open to the floor

Towards the end of the session, members of the audience posed questions to the panellists. Topics such as allowing medical exemptions for amalgam use and the implementation of amalgam phasedown into reform plans created essential discussions for all involved. Delegates left the debate with a greater understanding of the current position on amalgam, and how the future may look for their care. Ian Mills of Torrington Dental Practice had engaged in the Q&A section of the debate, and said:

“I really enjoyed it, it was informative. The speakers complemented each other, and covered a good range of political and clinical points.

“A lack of time is always an issue with these sorts of things, and you just wish it could go on for longer!” The future use of dental amalgam is yet to be definitively set upon, but it’s with the help of professionals like Jason Wong and Chris McConnell that dentistry will be in an environmentally-safe and clinically-effective place in the years to come.

save the date BDIA Dental showcase 2025 14th-15th March exCeL London dentalshowcase.com n

Gear up for Glasgow!

The need for endodontic treatment in general dental care is well established with the prevalence of root canal-treated teeth being around 10% of all teeth. If you’re looking to learn more about the field or hone your existing skills and understanding, then this year’s IFEA World Endodontic Congress is an opportunity not to be overlooked.

Taking place in Glasgow from 11th-14th September 2024, the biennial event of the International Federation of Endodontic Associations (IFEA) is being organised by the British Endodontic Society (BES) and will be held at the Scottish Event Campus (SEC), Glasgow.

The SEC is one of the UK’s largest integrated spaces, purpose-built for exhibitions, conferences and live entertainment. It is committed to Net Zero by 2030, supporting Glasgow’s commitment to do the same across the city.

Entitled Phases & Interfaces, the WEC programme will provide a forum to tackle the themes of trauma, regeneration, imaging,

vital pulp therapy, surgical endodontics, restorative and systemic health presented by an array of top international endodontic experts. These include Daniel Černý, Adham Azim, Matthias Zehnder, Meetu Kohli, Teresa Arias, Ariadne Letra, Paul Lambrechts, Byron Tsivos and Sadia Niazi.

Ove Peters, professor of endodontics at the University of Queensland, will be jetting in from Australia to address delegates over two sessions. His first presentation will discuss the restorative life cycle of teeth. “It is very clear that the retention of teeth after root canal treatment is primarily driven by the restorative treatment quality,” he explains.

“I will explore how repeat restorations will impact the life expectancy of restored teeth.”

Peters describes his second presentation as “a little more philosophical” where he will explore the treatment of disease in endodontics versus management. “Can you treat disease in dentistry?” he asks.

“Or is it really a question of management?”

Travelling from Tokyo, Dr Yoshi Terauchi is taking part in the trauma stream of lectures

and addressing the subject of mineral trioxide aggregate (MTA) obturation as his theme. “I really want everyone who attends my lecture to understand the importance of MTA obturation, and also the technique to obturate the canal using MTA.

“I consider MTA obturation to be very important because, especially in surgical re-treatment cases, many want to use MTA as a retro-filling material instead of using gutta percha and a sealer.”

The Congress will provide insights into the endodontic health of the global population and the unique challenges faced in different areas as well as presenting an opportunity for endodontists to collaboratively find solutions and inspire development. It brings together all those whose passion is endodontics, from dental specialists and general dental practitioners to students.

And it’s not a case of all work and no play. To ensure maximum networking, there’s a busy social programme which comprises a Welcome Reception (on the evening of Wednesday 11th September), a Ceilidh (evening of Thursday 12 th September) and a Congress Dinner (evening of Friday 13th September).

The Ceilidh (pronounced ‘kayley’) is a traditional Scottish social gathering with music and dancing. Being held at one of Glasgow’s most vibrant and historical venues, Merchant Square, and with the city voted the ‘World’s Friendliest City’ in a

2014 Rough Guide poll, it promises to be a fun and entertaining evening. Tickets are limited so early booking is advised.

The Congress Dinner will take place at the iconic Kelvingrove Art Gallery and Museum on the final night. This formal event will feature a full Scottish menu and a traditional Scottish piper! Again, tickets are limited. With over 2,000 delegates anticipated to attend, the BES advises those interested to register their attendance via the website – ifea2024glasgow.com/registration –as soon as possible. Whether you’re an experienced practitioner or new to the field, it is an event not to be missed. Come and join us to hear from thought leaders and contribute to the discussions.

Register today for IFEA WEC 2024 at ifea2024glasgow.com/registration

The dynamic interview set to spark inspiration at BDCDS

With the British Dental Conference & Dentistry Show rapidly approaching and excitement growing around this year’s guest speaker – steven Bartlett – we introduce you to nilesh Parmar, who will be interviewing Steven live on stage

Steven Bartlett, the renowned entrepreneur and influencer, will be speaking at this year’s British Dental Conference & Dentistry Show (BDCDS), co-located with Dental Technology Showcase (DTS) at the NEC Birmingham.

Steven Bartlett, known for his inspirational journey and impact in the business world, will take part in a captivating fireside chat. His session promises to ignite new ideas and strategies among dental professionals.

Joining him on stage will be Dr Nilesh Parmar, a renowned dentist with a flair for the extraordinary, tasked with the pivotal role of interviewing Steven Bartlett.

Parmar’s selection not only reflects his distinguished career in dentistry but also his passion for education and entrepreneurial spirit.

A dentist with a mission

Nilesh Parmar is no ordinary dentist. With two thriving dental clinics in Essex and a rich background in implant dentistry, oral surgery, and restorative work, his professional credentials speak volumes.

However, what truly sets Parmar apart is his insatiable thirst for knowledge and his commitment to pushing boundaries, both personally and within the dental community.

“I think one of the key things I was always known for is doing a lot of postgraduate courses; more than any sane person should do in their life,” Parmar shares.

His journey through every dental school in London and an MBA to boot underscores a relentless pursuit of excellence and a deep-seated belief in continuous learning.

An unprecedented opportunity

The upcoming BDCDS marks a significant milestone in Parmar’s career, as he prepares to interview Steven

Bartlett, a figure renowned for his entrepreneurial success and insightful perspectives on life and business.

Parmar’s excitement is palpable, a testament to the respect he holds for Bartlett’s achievements and the unique opportunity this interview presents.

“It’s an exciting and somewhat unexpected opportunity,’ Parmar admits. “I’ve been a fan of Steven’s work, his entrepreneurial journey, and his insights into business and personal growth.

“Interviewing him is not only an honour but also a unique chance to bring fresh perspectives to the dental community.”

Challenges and transformations in dentistry

The world of dentistry is ever evolving, with challenges and opportunities emerging at a rapid pace. As a practice owner, Parmar is acutely aware of the pressures and responsibilities that come with the territory. From the relentless demands of managing a clinic to navigating the complexities of the business side of dentistry, it’s a role that requires resilience and strategic thinking.

“The business of dentistry is very dynamic,” Parmar reflects. “We are now getting back to more of the grassroots bits of dentistry. But, in the UK, private practices are getting a bigger slice of the pie. Something needs to change.”

“Interviewing him is not only an honour but also a unique chance to bring fresh perspectives to the dental community.”

A conversation with broader implications

Parmar and Bartlett’s conversation is expected to resonate with a wide audience.

From young dentists carving out their career paths to experienced practitioners looking to innovate and expand, the insights shared on stage promise to be invaluable.

“I think whatever we talk about will be valid for everyone,” Parmar states confidently. “This is one which is really eye-opening; it’s original. And kudos to the whole team for getting him on board and having the courage to get somebody like this to come and speak at a dental event – I think it’s fantastic.”

engagement and collaboration

Ahead of the show, Parmar is eager to engage with his peers and the dental community at large.

Open to questions and discussions, he sees this as an opportunity to foster a collaborative environment where ideas can flourish.

“If readers want to message me on Instagram @drnileshparmar, they’ll get to me. I’ll have a look at them,” he offers, inviting participation and dialogue.

Looking ahead with optimism

As the fireside chat approaches, Parmar reflects on the significance of the event and the broader impact it may have on attendees.

His advice to those planning to attend is to come with an open mind and be ready to absorb the wealth of knowledge and experience Bartlett brings to the table.

“I think for people who have probably not heard of Steven Bartlett, there’s a lot out there to read up on. Watch some of his podcasts,” Parmar suggests.

“And also, his book is very good; I got a lot from his book.”

A moment of inspiration BDCDS is more than just an event; it’s a gathering of minds and a celebration of the dental profession’s potential.

With Nilesh Parmar at the helm of one of its most anticipated segments, attendees are in for an experience that promises to enlighten, inspire, and perhaps even transform.

In a world that often emphasises the end result over the journey, Parmar and Bartlett’s conversation is a timely reminder of the importance of passion, perseverance, and the courage to venture beyond the familiar.

It’s an encounter that encapsulates the spirit of innovation and the unyielding pursuit of excellence that defines the best of the dental profession. n

to find out more about the British Dental Conference & Dentistry show and to register your attendance, simply visit birmingham.dentistryshow.co.uk.

steven Bartlett
Dr nilesh Parmar is an implant and cosmetic dentist, regular guest on leading tv shows, mentor to clinicians and racing car enthusiast

Does the Dental Recovery Plan deliver?

The beginning of 2024 saw the much-anticipated NHS Dental Recovery Plan published by the Department of Health and Social Care. For months prior, the question was whether this plan would finally mark a turning point for the sector and ensure that local communities have access to the dental care they need.

At Denplan, we have been reflecting on the impact of the recovery plan and, while it provides some welcome initiatives, we ultimately believe that it does not go far enough to alleviate the challenges faced by dentists and patients.

One of the biggest missed opportunities of the recovery plan is the superficial nature of the changes to the dental contract. The 2006 dental contract is almost universally criticised for its flawed structure, whereby paying for a set amount of dental activity (UDA) makes carrying out NHS work financially unsustainable. While the plan commits to increasing UDAs in areas where rates are lowest, it does not address the root cause of why dentists choose to leave the NHS, such as the inflexibility of the contract, which dictates patient treatment. The Government has hinted that they will consult on potential contract improvements but,

thus far, they have been opposed to wholesale reform.

It is encouraging to see that the plan offers support for new patients and attempts to restore access to services in areas that have been historically neglected. However, these initiatives raise a number of concerns around prevention and implementation.

The new patient premium risks existing patients potentially having a harder time accessing routine preventative care. The is because the premium does not address the fundamental capacity issue where NHS dentists are unable to meet the rising demand for care. This approach fails to shift the dial away from focusing on elective and emergency care in the long term, as patients remain unable to access services for routine check-ups.

The plan to deploy mobile units to underserved areas lacks the detail necessary and raises questions about the practicalities of implementation. While the plan iterates that these mobile units are a temporary solution, there is no further detail on operationalising such a huge undertaking. Crucially, how are they to be staffed given the well-documented acute workforce crisis in the dental industry?

Retention is perhaps the most critical issue the plan fails to address. Initiatives like the uplift in

UDA, deployment of mobile units and the golden halos of £20,000 to attract dentists to underserved areas are exclusively focused on how to increase access.

None of these initiatives address the equally important problem of people leaving NHS dentistry. In fact, there is only one mention of retention in the plan itself, acknowledging that retention is difficult in certain parts of the country.

Retention, however, is central to the success of any recovery plan. Short-term solutions are not enough to elevate services to stable footing and without further action, it is likely that the dental recovery plan will remain just that – a plan without tangible progress.

Mixed and private dentistry can offer a solution to some of these issues, but it is ultimately only through joint working that we will be able to have a real impact on these complex challenges. There is no timelier reason for the sector – from private to mixed to NHS –to work together to ensure that the dental care needs of local populations are met. n

about the author

Catherine Rutland, Clinical director at denplan and Simplyhealth.

Hear from some of our previous winners!

Each year, The Dental Awards recognises the outstanding individuals and teams whose commitment to patient care and professional development are raising standards throughout the profession.

The awards presentation itself has proved to be an annual highlight for entrants, with what has the possibility to be a career-defining moment. However, in recent years, things have been a little different. 2020’s ceremony was abruptly cancelled due to the Covid-19 pandemic, with finalists and winners announced on the-probe.co.uk.

An online presentaion was staged in 2021 to announce the winners via a live stream, while in 2022 and 2023, a hybrid method was adopted in which finalists and winners were announced during a broadcast event, with the winners invited to dine with the judges and awards sponsors in a more intimate setting at a later date. This format has proved populr with winners (who carry no pre-awards jitters into the event), judges and sponsors alike, and will continue in 2024. Although the format has undergone some changes, the significance of The Dental Awards remains as it ever was.

But don’t just take our word for it. Here is what some of the winners from the past couple of editions have to say:

Maiara Ban won the award for Practice Manager of the Year in 2022, while her practice, ODL City Dental Clinic, London, was also victorious in the Best Website/ Digital Campaign, Dental Team of the Year, and Practice of the Year categories.

“Our team is so proud to have been recognised for our relentless hard work to ensure our patients have the best experience and receive the best care from our practice,” said Maiara. “I am extremely flattered to have been named Practice Manager of Year. I am so thankful to God for this great honour and I am so grateful to my principal, Alex Seijas, and to my whole team for their constant support. This award will further motivate me to work hard for my colleagues, our practice and our patients.”

For the seventh time – and third year consecutively – The Oral Health Promotion Team at Nottinghamshire Healthcare NHS Foundation Trust (better known as The Tooth Fairies) won the award for Best National Smile Month Campaign in 2023. Julia Wilkinson (one half of the duo along with Becky Sutton) commennted: “Every award is special and has magical meaning. We never expect to win, but we are very proud to showcase the work we have delivered

over the previous 12 months. We are extremely motivated, inspired, and strive to continuously improve the smiles of the local community. Every year there are new challenges and new aspirations. But we always manage to think of something new (and sparkly) and we are proud to share our work with others. We always share our victory with our stakeholders and wider organisational teams – we feel we have all won!”

“I felt proud to have been shortlisted for the award and it was a real shock to win,” added 2023 Dental Therapist of the Year, Jyoti Sumel. “There are so many Dental Therapists making a difference, so it meant a lot to be chosen and recognised for my hard work. I was lucky to have some of my team by my side when I won; I was so thankful to them for supporting me from the day I started, inspiring and pushing me to continue my career journey. I really enjoy my job, which makes it easier to want to keep challenging myself to explore and exceed my expectations. I hope I can inspire others to see what pathways they can take and that we are leaders too.”

Christine Thomas from Parkway Dental Clinic in Swansea won the award for Dental Hygienist of the Year in 2023. “I was extremely shocked and honoured to be shortlisted – never mind actually win

THE DENTAL AWARDS 2024

the award,” she said. “I am following in the footsteps of some great and inspirational hygienists; I did not think that I would be in their league. Some of the judges contacted me personally to explain why they thought I was worthy of such a prestigious award. Their words were humbling. I feel that winning this award enabled me to thank everyone who has

gone before me and worked with me over the years, enabling me to become the hygienist that I am today.

I have been told over the years that I was not good enough or ‘just a hygienist’ and I feel that this award goes to prove that we as DCPs are not ‘just anything’.”

Stay tuned in the coming weeks for the 2024 Dental Awards shortlist! 

Christine Thomas - Dental Hygienist of the Year 2023
ODL City Dental Clinic took home a combined four awards in 2022, including Team and Practice of the Year
The Tooth Fairies won their seventh National Smile Month Award in 2023
2023 Dental Therapist of the Year, Jyoti Sumel

Optima BA525/BA525L

POWERFUL TURBINE WITH

POWERFUL TURBINE WITH UP TO 20W POWER.

POWERFUL TURBINE WITH UP TO 20W POWER.

• Available with or without fibre-optics.

• Available with or without fibre-optics.

• Available with or without fibre-optics.

• Quadruple spray.

POWERFUL TURBINE WITH UP TO 20W POWER.

• Quadruple spray.

• Quadruple spray.

• Stainless steel body with easy-grip coating.

• Available with or without fibre-optics.

• Stainless steel body with easy-grip coating.

• Stainless steel body with easy-grip coating.

• Ceramic bearings.

• Quadruple spray.

• Ceramic bearings.

• Standard head.

• Ceramic bearings.

• Stainless steel body with easy-grip coating.

• Standard head.

Fittings

• Ceramic bearings.

Fittings

• Standard head.

Bien Air®

Fittings Bien

for your patients

for your patients

• Lightweight, three-section air polishing handpiece for easier cleaning

• Lightweight, three-section air polishing handpiece for easier cleaning

• Automatic identification of scaling mode

• Range of titanium alloy tips and accessories

• Automatic identification of scaling mode

• Range of titanium alloy

and accessories

PREMIUM TURBINE

PREMIUM TURBINE

Ultimate BA695L/BA688L

FIBRE-OPTIC TURBINE

FIBRE-OPTIC TURBINE

• Standard head. Ultimate BA695L/BA688L

Quadruple spray.

Quadruple spray.

• Quadruple spray.

Anti-retraction valve.

• Anti-retraction valve.

FIBRE-OPTIC TURBINE WITH

Anti-retraction valve.

“Smart coat” - scratch resistant and better grip. Ceramic bearings.

• Quadruple spray.

• “Smart coat” - scratch resistant and better grip.

“Smart coat” - scratch resistant and better grip. Ceramic bearings.

• Ceramic bearings.

• Anti-retraction valve.

Available in two head sizes: standard BA695L and mini BA688L.

Available in two head sizes: standard BA695L and mini BA688L.

• Available in two head sizes: standard BA695L and mini BA688L.

• “Smart coat” - scratch resistant and better grip.

• Ceramic bearings.

Fittings

• Available in two head sizes: standard BA695L and mini BA688L.

Bien Air® W&H® KaVo® Sirona®

Fittings

NSK®

outstanding systems are better with our support the ultimate imaging solution for orthodontists

When you invest in the latest imaging systems, you also want to receive the best possible service for many years to come.

At Carestream Dental, our team will provide immense support alongside our awardwinning solutions, for an all-round brilliant experience.

The Carestream Dental support team is always on hand for guidance on your latest systems, so you can get the absolute most out of each clinical treatment. This includes additional help to maximise the upkeep of your systems, and a helping hand when the unexpected occurs. With a long-term warranty, our own Carestream Dental technicians will be on hand to provide and install new parts as needed, to quickly restore your practice to the high-

Clear aligners have been one of the most recent advancements in the field of orthodontics. They have grown in popularity because they are aesthetically more pleasing and less obstructive to oral hygiene compared to fixed orthodontic appliances.

ClearCorrect®, the Premier Aligner from the Straumann Group, offers the triple benefits of precision, comfort and aesthetics. Developed following decades of material science, research and innovation, the ultimate in orthodontics combine proprietary ClearQuartzTM trilayer material, Performance Trimline, and scientifically-proven ClearControlTM clinical features to help dental

quality care that you’re proud to provide.

We will always strive to meet fast repair and replacement times with our own parts that are manufactured in our own facilities, for guaranteed quality.

To learn more about the outstanding help provided by Carestream Dental on a daily basis, and how it can help you take advantage of your award-winning imaging systems, contact the team today. n

Clinicians who provide orthodontic treatment will understand the importance of acquiring highly accurate radiographic images. As such, investing in a system which accommodates your needs is essential.

The ORTHOPHOS S 2D/3D extraoral imaging system, available from Clark Dental, offers practices a comprehensive range of solutions. Its features include the Csl sensor for detailed images, and the occlusal bite block to optimise patient positioning. Further to this, the ORTHOPHOS S offers low dose and HD functions, as well as the option to install a Ceph arm on the left or right.

For more information, please contact the team at Clark Dental.

If you’d like to find out more about Clark Dental’s solutions, call the team on 01268 733 146, email info@clarkdental.co.uk or visit the website below.n

professionals achieve their patients’ orthodontic goals.

In addition, the Doctor portal offers streamlined case organisation and management, with the opportunity to identify and filter cases and colour-code patient notes.

To discover how ClearCorrect® aligners could help your patients smile again with confidence, visit the website today. n

At EndoCare, we appreciate the importance of collaboration for referred cases. We ensure clear and honest communication from the start, and will keep you updated throughout the entire treatment process. We will work closely with you to confirm the diagnosis and plan treatment, offering any appropriate post-procedure support once the patient returns to your routine care.

But you don’t just have to take our word for it. Mr Geoffrey Longson said: “I have been referring to Michael [Sultan] for over ten years. My patients find Michael to be excellent, reporting how gentle and caring he is. Progress reports arrive promptly with excellent data. His aftercare is also excellent. He is very

Converting clinical notes into patient letters at the click of a button? Sounds too good to be true? Well, it’s not with Docs, the latest feature from Kiroku, the AI digital note taking platform.

Docs can take your Kiroku notes and turn them into a variety of documents including referral letters, consent forms, patient letters and letters to GPs. As Martin Wanendeya of TenDental in London comments: “Each personalised letter used to take hours to write, but now I can generate them instantly.”

The system features ready-made templates for the user to amend, with the ability to set up customised templates. Where appropriate, Docs can translate dental terms into patient-friendly language too.

honest in his predictions; if he feels the case is unsuitable, he will not proceed without contacting the patient and myself first.”

To see for yourself how EndoCare could help you deliver exceptional patient care, contact us today.

For further information please call EndoCare on 020 7224 0999

Or visit the website.n

For more information about how Kiroku Docs can help streamline your practice workflow, get in touch with the team today.

To find out more about Kiroku, or to start your free trial, please visit trykiroku.comn

What’s your practice worth? You might be surprised!

Jonny Swift, principal of Crescent Lodge Dental Practice (CLDP) in South London, approached Dental Elite for a practice valuation when he began thinking about selling. He shares his experience:

“A close friend recommended that I approach Dental Elite, after they had sold their practice with the team’s help. Phil Kolodynski [Director of Practice Sales] was very efficient. He gathered information so that he could provide a valuation range, which was surprisingly attractive at almost double what I had thought it would be worth.

“Dental Elite put a presentation together and already had a list of buyer clients in mind. Within a couple of weeks, we

Best practice and official guidance say that using a washer disinfector is the preferred method for the cleaning and disinfection of dental instruments because it offers the best option for a validated and reproducible process. With infection control being paramount in a dental practice, keeping your machine in tip-top functioning condition is vital.

Eschmann Care & Cover gives dental professionals peace of mind that their washer disinfector and other decontamination equipment is fully compliant with HTM01-05i and SDCEP guidance. It also provides full technical support through a nationwide team of 50+ specifically trained Eschmann engineers.

Dr Farook Patel completed the Advanced Diploma course last year from the IAS Academy. He shares his experience:

“The IAS Academy has a good reputation and is well renowned in the world of dentistry. I chose to sign up to the Advanced Diploma course because it offers accreditation, which was not offered by other courses available from other providers. Achieving a diploma was important to help me advance my career further.

“One aspect of the course that I really enjoyed was the small, personal group. This facilitated really good one-to-one education, and the course leader was excellent – offering clear and decisive information.

had four viewings, followed by three offers – one of which we accepted.

“Dental Elite provided a lot of support throughout the entire process, and after completion. This helped to ensure that I received the full payment. I would definitely recommend Dental Elite. If you’re considering selling, get a valuation – it may make your mind up for you about whether to proceed!”

To find out how Dental Elite can assist your business decisions, contact them today. Telephone: 01788 545900 n

With no hidden charges, Eschmann Care & Cover includes Manufacturer’s Annual Validation and Pressure Vessel Certification, unlimited breakdown cover (including call-outs, parts and labour), as well as annual Enhanced CPD User Training for staff. For more information on the highly effective and affordable range of infection control products from Eschmann, please visit the website below or call 01903 753322n

“All of the content throughout the course was relevant, presented clearly and was easy to understand. I would definitely recommend the Advanced Diploma course to other professionals. I have taken other courses from the IAS Academy previously, and this was actually another reason I chose to take the Advanced Diploma course with them.” For more information about the Advanced Diploma course, please contact the team at the IAS Academy today. Telephone: 01932 336470 (Press 1)n

Make communication a breeze with Patient Bridge, a Sensei product, the cloud-based patient engagement platform from Sensei, the practice and patient management brand from Carestream Dental.

Patient Bridge Premium offers several brilliant new changes that can help your practice’s communication excel.

24/7 online bookings are supported by reminders and recall messages that invite patients to book their next visit. Plus, you can optimise the use of SMS messaging and HTML email, including links and images, as well as direct mail letters, to reach your patients in the way that suits them.

Appointment reminders can help

to minimise no-shows, with patients able to reply to messages for direct communication with the practice.

To learn more about Patient Bridge Premium and how it can help your patientpractice relationships flourish, contact the team today.

For more information on Sensei Cloud visit https://gosensei.co.uk/

For the latest news and updates, follow us on Facebook and Instagram @ carestreamdental.uk n

Make pharmaceutical waste eco-friendly

Employing the necessary measures in your practice to carefully manage pharmaceutical waste is essential. Choose Initial Medical for exceptional solutions and a dedicated service for waste disposal that is regulation-compliant and environmentally friendly.

This includes items in the Eco Pharmi bin range, which are made from 100% recycled plastic and are colour-coded for the safe segregation of pharmaceutical waste, such as used or unused anaesthetic cartridges.

Initial Medical’s services extend to collecting your pharmaceutical bins and ensuring they are disposed of appropriately. This way, you can feel confident that your practice’s waste is not

only managed in line with regulatory measures but is environmentally safe too.

Caring for the world around us is exceptionally important at Initial Medical, which is why we strive to provide and maintain environmentally friendly services at every given opportunity.

To learn more about the pharmaceutical waste options that suit your practice, contact the team today.

To find out more, get in touch at: 0808 304 7411 or visit the website today n

Get more from your favourite products the key to professional growth

Our customers choose COLTENE brands for their quality and reliability. So, we want to help them get even more benefits from their favourite products.

COLTENE understands the value of customer loyalty.

This is why COLTENE has introduced COLTENE Rewards. The more a customer spends on COLTENE products, the more they get back. It’s simple!

Earn COLTENE Coins and redeem them on a wide range of well-known high street brands or your favourite COLTENE products. To discover more about

COLTENE Rewards, get in touch with the team today.

Email rewards.uk@coltene.com or call 0800 254 5115

COLTENE loyalty scheme: https://rewards.coltene.comn

Powerful and predictable

The success of immediate implant placement relies greatly on sufficient primary stability of the implant.

Straumann® BLX with Dynamic Bone Management offers bone level implants that are designed for high primary stability and immediate treatment procedures. The BLX implant features a reduced neck diameter designed to decrease stress on the crestal bone, a slim and fully tapered implant core for a small osteotomy, and deep apical threads to provide a large anchoring surface for stability. Plus, its slim and under-contoured profile encourages maximum soft tissue preservation.

All BLX implants have the same inner geometry regardless of the diameter of the

implant, facilitating the use of just one set of prosthetic components for simple prosthetic steps.

Looking for more stable and predictable outcomes in your restorative cases?

Discover the Straumann® BLX Implant System by visiting the website today.

For more details, please visit https://www.straumann.com/gb/en/ dental-professionals/products-andsolutions/dental-implants/blx.html n

MK-dent announces triple set promotion

Remarkable savings of 15% on our extensive handpiece product range.

Whether you’re seeking to enhance the power of your turbines or require the quietest handpiece available on the market, we have the perfect solution for you.

For those in need of superior turbine power, look no further than MK-dent. Our turbines are engineered to deliver unmatched strength and precision.

We also understand the importance of maintaining a peaceful and comfortable environment for both you and your patients. That’s why we offer the quietest handpieces in the world.

In addition, we are proud to offer a diverse range of contra angles to suit your specific

needs. Whether you require a 1:5, 1:1, or reduction contra angle, rest assured that MK-dent provides the highest level of precision and reliability. Take advantage of this incredible promotion. Contact our premium distribution and service partners in the UK. Simply fill in the form to request further information. Elevate your practice with MK-dent’s exceptional handpiece technology. n

Effective training courses focused around your professional interests could be the catalyst for a rewarding and brilliant career in dentistry. Straumann® helps a vast number of dental professionals take their care to a new level with exceptional educational courses, led by some of the world’s leading lecturers and clinicians. Course focuses span all areas of implant dentistry, from foundational knowledge and digital workflows, to advanced bone grafting and zygomatic implant procedures. There is guaranteed to be a course for you, no matter your experience level.

Plus, Straumann® courses are crafted for different team members,

with educational opportunities available for dental nurses and treatment coordinators too.

To find out more about the wide variety of educational courses available to you, and the ways you could propel your career forward, contact the Straumann® team today.n

Plaque protection perfecter

With periodontal disease now linked to the development of heart disease, dementia and diabetes, the removal of dental plaque has become ever more important. Gingivitis develops due to plaque overgrowth and bacterial colonisation in the mouth, if left untreated this can quickly progress to periodontal disease.

The FLEXI range of interdental brushes from TANDEX can help patients remove more plaque than brushing alone. Each product’s handle is flexible, and the brush can be bent into the perfect shape to clean in between the teeth.

FLEXI brushes can be used to easily apply PREVENT GEL too, a product which contains 0.12% chlorhexidine and 900ppm fluoride known for their

antibacterial and enamel strengthening properties.

To find out how the FLEXI range and PREVENT GEL can improve the oral health of your patients visit the website today.

For more information on Tandex’s range of products, visit https://tandex.dk/ and on Facebook at https://www.facebook.com/ people/Tandex-UK/61554371237792/ Our products are also available from CTS Dental Supplies https://www.cts-dental. com/ and DHB Oral Healthcare https:// dhb.co.uk/ n

Enjoy a seamless digital workflow

High-quality digital solutions allow you to tailor care to your patients’ exact needs. By implementing digital impressions, milling, and 3D printing in your practice, you’ll be able to offer patients a quick and convenient experience, without compromising on quality. Choose Cerec Primescan, Primemill, and Primeprint chairside solutions from Clark Dental to produce impressions quickly and confidently, predictably produce restorations, and create highquality surgical guides. The innovative digital solutions can be used together or individually to improve workflows and expand your services.

For more information about the range of solutions available, please contact the team at Clark Dental.

If you’d like to find out more about Clark Dental’s solutions, call the team on 01268 733 146, email info@clarkdental.co.uk or visit the website below.n

straumann Group Presents the Neodent® Grand Morse® Implant system

Patients and practitioners alike can’t fail to be inspired by the stunning results now offered by dental implants. Neodent’s Grand Morse® Implant System meets expectations with a portfolio that is engineered for predictable, immediate treatment in all bone types.

The Helix® Grand Morse® is an innovative hybrid implant, improving outcomes even in challenging situations. It includes:

• Tapered body design

• Hybrid contour

• Dynamic, progressive thread design

• Active apex, enabling immediate loading

• The Neodent® Acqua® hydrophilic surface.

Conventional 1450ppm and above fluoride toothpastes only deliver fluoride for a maximum of 90 minutes, whatever their fluoride content and provided the patient does not rinse. Despite its lower 530ppm fluoride content, Biomin F remains active for up to 12 hours, continuously releasing fluoride to strengthen teeth and protect against decay, even if the patient’s toothbrushing is erratic and inefficient. Available from Trycare, BioMin F contains tiny bioglass particles made up of fluoro calcium phosphosilicate bioactive glass which bonds to teeth and enters the dentinal tubules, where they gradually dissolve for up to 12 hours, slowly releasing calcium, fluoride and phosphate ions. These combine with saliva to form fluorapatite which strengthens teeth, aids effective

As dental implant consultant Cliff Gratz said in a recent review, these features make the Helix® implant ideal for ‘immediate loading and long-term aesthetics with a stable biologic width’.

Clinicians have come to expect cutting edge engineering in the simplest possible package from Neodent®, a Straumann Group brand. One prosthetic platform, one screwdriver, one implan driver and one surgical kit, allows for intuitive interventions for all bone types.n

Premium strength and durability

Bossklein V-WIPE Ultra wipes utilise a premium wipe substrate engineered to elevate the standards of cleanliness and comfort. This new wipe material offers unrivalled softness with increased strength and sets a new benchmark in disinfection wipes.

The gentle touch wipe substrate of the Ultra wipes offers exceptional performance and a superior user experience, maintaining its integrity and delivering reliable performance with every wipe.

The thicker 40gsm material boasts impressive strength and durability. More than double the average of competitor wipes - which are usually around 20gsm. Each wipe measures 175x155mm and each pack contains 160 ready to use wipes.

remineralisation of enamel and provides effective treatment for hypersensitivity. Patients also report that teeth feel smoother and cleaner, there is a noticeable absence of background oral sensitivity and that gums are healthier and less prone to bleeding. A genuine Practice Builder, BioMin F enables patients to enhance their smile and improve their oral health and comfort. It is the only toothpaste approved by the Oral Health Foundation for sensitivity relief and remineralisation. Telephone: 01274 885544.n

Just as permanent restorations demand specific materials for different applications, temporary restorations have different requirements for different indications. Available exclusively from Trycare, Centrix offer three specific and proven temporary filling material formulas providing optimal results in any clinical situation. For endodontic access cavity sealing and short-term temporary restorations use original Tempit which is moisture activated and expands slightly to completely seal any cavity. Tempit-E offers all the benefits of Tempit plus it contains Eugenol. It offers an anti-inflammatory and local anaesthetic effect which helps facilitate pulpal healing. For indirect inlay and onlay restorations Tempit L/C sets firm, but remains flexible so that it can be easily removed with an

instrument without the need for drilling. Setting in minutes and easy to remove when required, unlike jars which frequently set hard before you can use them, they are supplied in single unit dose capsules. This means they can be dispensed directly, precisely and perfectly every time, saving time, reducing waste and providing the right filling material for each application. Whichever option you use, simply dispense Tempit into the cavity and adapt it to shape. No mixing, no spatulation, no crosscontamination and no messy placement. Telephone: 01274 885544 n

Maximum precision with American Eagle surgical Instruments AdI explores maxillary sinus augmentation

With the new dental surgical range, American Eagle Instruments offers you hand and hinge instruments for about 80% of surgical procedures in the oral cavity. Not only do we focus on the high-quality practitioners have come to expect from our scalers and curettes, but also on highly precise and efficient products and the easy to clean surfaces which consider current cleaning and reprocessing guidelines. Highquality materials, ergonomic handles and a matt finish to prevent reflections are standard. The range covers multiple treatment areas including extraction, apicoectomy, wisdom teeth removal, dental implantation and osteotomy.

Available from Trycare, Centrix’s FluoroDose is the award winning 5% sodium fluoride varnish that’s easy to apply in less than a minute.

Centrix’s redesigned FluoroDose packaging has new patented features to enhance its handling, comfort and patient safety. In addition to a single dose of varnish, each LolliTray contains a Benda Brush applicator and has been designed so that it can be “popped up” with one hand, making removal simple and safe.

FluoroDose has a smooth consistency, fast application and choice of five patient-pleasing flavours – caramel, bubble gum, mint, cherry and melon. It is supplied in an Introductory Pack containing five flavours and refills of individual flavours.

Because the varnish is freshly mixed prior to application it always has the optimum fluoride

For more information contact Jaeson Duckworth: jduckworth@younginnovations.com, Mobile 07590033844n

The next ADI Masterclass will be held on 27th April 2024 and will offer a dynamic programme exploring advanced techniques in the field of sinus augmentation.

Dr Pascal Valentini will be among the speaker line-up, presenting “Maxillary Sinus Augmentation: Prevention and Management of Complication”. Commenting on what he aims to cover in his session, Dr Valentini says:

“When a surgical technique is used, success does not depend solely on the technical procedure. It is essential to identify as many risk factors as possible and to know how to manage them. This approach will ensure the patient’s safety, and a confident patient is a cooperative

patient. My session will help colleagues understand, detect and plan for potential risks in every case.

“Twice I’ve had the honour of being invited to events organised by the ADI. In 2001, my friend Michael Norton – who was President of the association at the time – invited me to London, and in 2008 I spoke at a Masterclass in Manchester. Each time it was very enriching, both in human and scientific terms, and I am very happy to be returning in 2024.”

Save the date – April 27th – visit the website for details and to book. n

distribution, unlike syringes which frequently separate out leaving inconsistent mixes of ineffectively low and dangerously high fluoride concentrations.

Each LolliTray contains enough varnish to protect a full adult dentition. Non-gritty and easy to apply in an undetectably thin film, it is colourless so that it does not affect the appearance after bleaching etc.

Quick-drying and long-lasting, FluoroDose is suitable for adults with caries risk factors as well as children. It can be applied as often as needed and is FDA-approved for treating dentinal sensitivity. Telephone:01274 885544 n

The cost and inconvenience of emergency appointments to replace lost temporary crowns is extremely annoying. Especially if they are at the end of the day or out of hours!

Available from Trycare, NoMix is a single component, moisture-activated, directly dispensed temporary cement which eliminates this problem. Suitable for surgery use when initially cementing temporary crowns or bridges it can also be taken home by the patient as insurance against an emergency!

NoMix eliminates the mixing, spatulation and time-consuming messy cleanup of traditional temporary cements, yet offers superior retention. Pre-loaded in single use tubes it enables fast, precise placement. Eugenol-free NoMix is compatible with all resin materials and bonding agents. Moisture activated there is no need to dry the teeth, saving time and reducing post-operative sensitivity due to dehydration. NoMix contains Potassium Sulphate, which has an additional desensitizing effect on the tooth, Zinc Oxide, which has an antibacterial effect and helps prevent “black fungus” and corresponding bad breath, and Calcium Sulphate which expands slightly to ensure minimal leakage. Working time 5 minutes, final set time 12 minutes. Telephone:01274 885544 n

Sendoline Endo Motor

Maximum Freedom of Choice

Use it with reciprocating or rotary movement, with or without the integrated apex locator - you choose. - Easy to use - 360º rotatable contra-angle allowing easier access - Cordless - Integrated apex locator

Special Introductory Price

£ 1,049.00 ex VAT (DDGroup code EVS370)

Sendoline Endo Motor S3 Start Up Set*

Available at DDGroup SCAN QR-Code to ORDER

Comparing bank funding offers

Are you considering a significant business investment that requires bank funding? If you are, I would always advise pitching to multiple lenders to create some competition between them to be sure to get the best rate with the best terms.

Of course, it is a moot point if you decide to only go to one lender as you will be considering their offer in isolation.

What I will shamelessly say is that you should hire an advisor to act on your behalf. An advisor will act for you and can leverage the volumes of business they introduce to lenders, to achieve better rates and terms than might be offered to an individual borrower. They can also work quickly to draw up a professional presentation of your proposal in a format that mirrors the lender’s own internal assessment and can quickly secure that all important approval.

But, on the understanding you have multiple offers, the next conundrum is how to compare one against the other and align the offers to your own circumstances and ambitions. The average facility document has many terms and conditions but very often the negotiations are focused on the interest margin that the lender is proposing and perhaps also the up-front fee for arranging the facility. No two offers of finance are presented the same and there is no substitute for a competitive tender if you are looking to fund a sizeable project. This tender can include your existing bank, and the process will ensure that all the lenders have identical information on which to base their offer.

Ask your adviser to provide a summary in matrix form to compare all the key features. Alongside this, you should also expect a very detailed review of each offer with explanations of banking jargon in plain language. Your adviser will be able to

make a recommendation based on their market knowledge, but you should be given sufficient information to make an informed choice of your own.

Let us consider a few areas which could spring some surprises.

structure

Does the offer reflect the requested funding structure? If you were looking for a certain loan to cost or a split in the funding across different legal entities, then a good financial adviser will have signaled those key requirements with lenders.

It is usually far easier to persuade a lender to increase the rate of repayment than reduce it, so my recommendation is to borrow on the longest repayment term possible. You should balance this against any premium margin that might apply for taking that longer term and choose an offer that gives maximum flexibility to accelerate repayments without penalty (or for a relatively modest additional charge).

It is important to check the total interest payable between different repayment terms as the amount of interest paid increases quite markedly when borrowing, over just an additional five years. I would always go into a loan agreement with the intention of increasing the level of agreed repayments as soon as practicable, purely because of the dramatic impact this can have on the time it takes to repay the loan in full. Just a small increase in monthly repayments or a year-end lump sum reduction can take years off the loan term, this should always be balanced against competing demands in the business for reinvestment in equipment and the fabric of the practice, amongst other priorities.

If an overdraft facility is part of the package, then the interest margin is often higher than

that offered on a term loan because of the flexibility the facility affords, including the absence of scheduled repayments. However, overdrafts are usually reviewed annually and as ‘on demand’ facilities can be reduced or withdrawn. They also invariably incur an annual renewal fee.

cost of funds

Check which reference interest rate is being used for the core cost of funds to which the bank is adding its margin. Most variable rate lending in the SME market is priced off the Bank of England Base Rate. Lenders will also usually quote a fixed interest rate which includes both the cost of funds and the margin. As fixed rate loans are usually quoted for 3, 5 or 10 years it is important to check what default rate will apply when the fixture expires but also how breakage costs are calculated in the event you sell the business and repay the bank early.

commitment

Without prejudice to the repayment term quoted, some lenders will specify a shorter commitment period for medium-term lending. Thus, whilst repayments on a goodwill loan might be set to repay the facility over 15 years, the bank may, for example, set a shorter commitment of five years. At the expiry of this initial five-year period, and subsequent five-year periods, the bank may, at its own volition, require the borrower to refinance the facility, or it may seek to revise the terms of support, which may include the security requirement and pricing of the loan. Clearly there is value to the borrower in longer commitment periods in terms of maintaining the terms originally agreed, but it is important to note that the shorter the commitment term, the finer the pricing, because the bank’s capital costs are lower.

Transaction costs

If you are purchasing a freehold or acquiring the goodwill of a practice, then a lender will invariably seek an independent professional valuation. It is worth establishing whether there is a fixed valuation fee to pay or whether you can choose from a selected list of approved bank panel valuation firms, who will quote for the work. The difference between quotes can be plus or minus 25% or more – so worth exploring – but do seek advice from an independent adviser who knows the market well and will be aware of which firms undertake regular valuations of the type you are buying. Depending on the size of the transaction, some lenders will insist on a separate legal firm being instructed to act on their behalf. This overview of the work undertaken by your own legal advisers can add a significant amount to costs and is therefore usually a differentiating factor between competing offers.

These are just some of the considerations when comparing different bank offers for funding. An experienced debt adviser will also review the lender’s security requirements closely and other terms of sanction, which can include financial covenants, early repayment penalties, life and income protection provision, documentation costs, and non-utilisation fees.

A competitive tender of your finance requirement across a range of lenders with specific knowledge of the dental sector and strong credit appetite is the best way to secure the optimum banking finance package for your project. n

about the author christian Reilly, associate Director at Lily Head finance.

Finding the right dental marketing company

As a dentist, you understand the importance of effective marketing in growing your practice and attracting new patients. However, navigating the world of dental marketing can be overwhelming, with countless agencies fighting for your attention.

So how do you choose the right dental marketing company that aligns with your goals and values? It is always best to look for a company that does everything under one umbrella, so you don’t spread your marketing budget over several companies. Here’s a comprehensive guide to help you make the best decision:

Define your goals and budget

Before embarking on your search, take the time to define your marketing goals and budget. Are you looking to increase patient appointments, improve online visibility, or enhance brand awareness? Having clear objectives will help you narrow down your options and find a company that can deliver the results you desire within your budget.

Research and compare

Once you’ve identified your goals and budget, it’s time to research and compare

dental marketing companies. Look for agencies with experience in the dental industry and a proven track record of success, someone who can cover all your marketing needs. Consider factors such as services offered, pricing, client testimonials, and case studies to gauge the effectiveness of their strategies.

evaluate services offered

When choosing a dental marketing company, consider the range of services they offer and whether they align with your needs. Look for agencies that provide comprehensive marketing solutions tailored to the dental industry, including website design, search engine optimisation (SEO), social media management, content marketing, and online review management.

assess industry experience

Experience matters when it comes to dental marketing. Look for a company that has a deep understanding of the unique challenges and opportunities within the dental industry. An agency with extensive experience working with dental practices will be better equipped to develop tailored strategies that yield tangible results.

Review client testimonials and case studies

Client testimonials and case studies offer valuable insights into the effectiveness of a dental marketing company’s services. Take the time to read reviews from past and current clients and ask for case studies that demonstrate the agency’s ability to deliver measurable results for dental practices similar to yours.

enquire about reporting and communication

Communication and transparency are key factors in a successful partnership with a dental marketing company. Enquire about their reporting process and frequency, as well as the channels of communication they offer. A reputable agency will provide regular updates on campaign performance and be accessible to address any questions or concerns you may have.

consider customer service and support

Choose a dental marketing company that prioritises customer service and support. Look for agencies that are responsive, attentive to your needs, and dedicated to providing personalised support throughout

the duration of your partnership. A reliable partner will be there to guide you through every step of the marketing process and adapt strategies as needed to achieve your goals.

conclusion

Choosing the right dental marketing company is a crucial decision that can have a significant impact on the success of your practice. By defining your goals, conducting thorough research, evaluating services, assessing industry experience, reviewing client testimonials, and considering communication and support, you can make an informed decision that sets your practice up for long-term success.

Remember, the right dental marketing company will not only help you attract more patients and grow your practice but also become a trusted partner in your journey towards achieving your business goals. n

about the author Vicki Mayson, sales & Marketing Manager at connect My Marketing.

Equipment, service & support you can rely on.

Our nationwide team of over 50 highly trained engineers work exclusively on Eschmann products, enabling us to provide an unparalleled level of professional support to our customers.

Our engineers are all equipped with the necessary tools & spare parts to ensure that your Eschmann products are working effectively & to their maximum potential. With access to unlimited spare parts & labour included in our Care & Cover service package, you can be confident that your decontamination equipment won’t let you down.

Experience Eschmann excellence at www.eschmann.co.uk, or call us on 01903 875787.

Spring Budget delivers few surprises

What does the latest Budget mean for you and your business? Luke Moore analyses what you need to know and what might leave you underwhelmed

Anticipation built for this year’s Spring Budget, with many expecting a rabbit to be pulled out of the hat in what could have been a pre-election event. However, the somewhat underwhelming nature of the announcements seem to disprove rumours that were circulating about a May election.

Put frankly, the Chancellor of the Exchequer, Jeremy Hunt, didn’t offer anything worth getting excited over for most dental practice owners and associates who trade as limited companies.

He highlighted that inflation is expected to dip below the 2% target later this year, which most of us would already have been aware of.

The 0.8% growth predicted by the Office for Budget Responsibility (OBR) also featured, despite the fact that the economy experienced recession towards the end of 2023.

There were only three key areas of announcements worth bearing in mind. The first was regarding Capital Gains Tax (CGT), which will only affect residential assets. For higher rate tax payers looking to sell a residential property, you will now be able to do so at the lower CGT of 24% – down from the previous 28%.

Though the above was a surprise, the second big change was not. National Insurance Contributions (NIC) were reduced by a further 2p, bringing the total reductions since Autumn 2023 to 4p, dropping it from 12% last year (it was already lowered to 10% from January) down to 8% as of April 2024 for the employed team. This will have greatest impact for dental nurses, practice managers and the reception team. For self-employed professionals – e.g. associate dentists or practice owners trading as a sole trader – Class 4 NICs have decreased from 9% to 6% as of April 2024 (the previous 1% reduction from 9% to 8% had already been announced but hadn’t come into effect yet). As a permanent tax cut, there is the promise of these rates continuing to come down after the next election, albeit most anticipate a change of regime after the next election. However, this is unlikely to affect dental practices that operate as limited companies, as it is not a cut to income tax or corporation tax.

The third announcement of note was around child benefit. Some associates or management staff who were subject to the high-income child benefit charge may no longer be so. Previously, anyone earning over £50,000 in a household would begin to lose child benefit by paying the high-income child benefit tax

charge, which was tapered up to £60,000. These thresholds have now been increased, meaning that the high-income child benefit tax charge isn’t triggered until someone in the household earns over £60,000 and the charges are tapered up to £80,000. This will be most relevant to associates who work 2-3 days a week and earn over £50,000, who will now retain more of that child benefit.

Other than these three headlines, there were only minor announcements. For example, the British Savings Bond was launched, which is a governmentbacked solution that provides a better – guaranteed – interest rate on your savings fixed for three years. The new UK ISA complements this, enabling a small but useful additional £5,000 taxfree saving on investments supporting British companies. Some may be pleased to learn that the alcohol duty has been frozen, as has fuel duty for 2024-25. For larger companies subject to the full expensing options for buying assets, this has also been extended to leasing assets too.

Aside from these points, however, there wasn’t much more to Hunt’s Budget. The good news for dental practices is that there was nothing of particular concern, though most businesses will still be feeling the pressure of next month’s planned increase to the National Living Wage. For individuals, the new NIC cuts could see you take home slightly more each month, so that’s a positive. Otherwise, there’s not much to know.

Of course, this is unlikely to be the case again in the next announcements, so we can certainly expect a more impactful Autumn Statement!

For any advice on how the latest announcement could affect your finances or your business, the experts at Dental Elite are happy to help.

For more information, visit dentalelite.co.uk, email info@dentalelite.co.uk or call 01788 545 900 n

about the author

Luke Moore is one of the founders and Directors of Dental elite and has overseen well in excess of 750 practice sales and valuations. With over 19 years working in the dental industry, Luke has extensive knowledge in both dental practice transfers and recruitment and understands the complexities of nHs and Private practices.

Do I need a will?

In my role as a Wills and Probate Solicitor, I am often asked, ‘Do I really need a will?’ My response is that, in most cases, a will is essential to ensure that your wishes are followed when you die. Whilst a will can set out wishes for the distribution of assets on your death, it can also deal with many other important issues.

A will is the legal document outlining your wishes in the event of your death. This could include who cares for your children or pets, what your funeral wishes would be, whether you need to set up a trust arrangement to help any vulnerable family members, and what ultimately happens to your property and financial assets.

What to consider when making a will:

• Who are the people that you trust to deal with the administration of your estate when you die? These are the people that will carry out your wishes and are known as your executors. These people may also continue as trustees, looking after money for young children or vulnerable family members

• Who would you wish to be the guardians for your children whilst they are under the age of 18? You can name your chosen family or friends to continue to look after your children and specify any particular wishes for their upbringing

• If you have pets, do you have specific wishes for how they should be looked after when you die?

• Are there specific personal items, house contents or sums of money that you would wish to gift to particular people or to charities?

• Do you have vulnerable family members that you need to protect in the will, so that money is held in trust for them? For example, if a family member has a learning disability or a drug or alcohol addiction, you may not want them to receive a large sum of money all at once

• Ultimately, who are the people that you would like to leave your estate to? These will be your beneficiaries. It is also important to consider who would be the replacement beneficiaries in the event that your chosen beneficiaries die before you

• Do you have specific wishes for your funeral, such as a preference for burial or cremation? Locations

for ashes to be scattered or instructions for the funeral service can also be noted in the will

Wills and relationship status:

Whether you are engaged, married or in a civil partnership, co-habiting or single, it is important to consider making a will.

• A will is automatically revoked on marriage, so it is important to ensure a will is updated after marriage or made ‘in contemplation’ of the marriage

• If you die without making a Will, your spouse will not automatically receive everything. This is called dying ‘intestate’ and the rules of intestacy dictate who can administer your estate and which relatives may benefit from your estate. If you have children, your spouse may not automatically receive everything

• Unmarried couples have no legal rights to each other’s estates, so it is really important to have a Will in place to make sure that your partner receives what you want them to in the event of your death

• If you are separating from your spouse, it is also important to ensure that your will is updated to cover your current wishes and your chosen beneficiaries

What next?

If you do not have a will, give some thought to what you want to happen when you die and consider putting a will in place.

If you already have a will in place, it is important to review this regularly to make sure that it still covers your wishes. Major life events, such as marriage, birth of children and grandchildren, or receiving an inheritance can often lead to changing a will.

If you would like to discuss making a will or would like to review a will currently in place, Claire Trueman at PFM Dental Legal would be happy to arrange an initial meeting to discuss your situation. Claire can be contacted at claire@pfmlegal.co.uk or on 01904 670820. n

about the author

claire Trueman is a solicitor within PfM Dental Legal and has 14 years specialising in helping clients with Wills, Lasting Powers of attorney and Probate matters.

HyFlex™ Remover

The essential piece for your retreatment

Remover is a new addition to the HyFlex range for the removal of old obturation material, integrating the latest generation of cross-sectioning with 3 cutting edges and heat treatment.

 One le to remove the root lling material

 Respects the root canal anatomy

 E cient without any solvent

 Safe, thanks to non-cutting tip

30 /.07

Maximum torque : 2.5 N.cm

Rotation speed : 400-800 rpm

Heat treatment : C.Wire

ASK

REMOVER FILE IN ACTION OFFER 3+1* ON REFILLS

"The Remover file has quickly turned into my preferred file for root canal retreatment. The tip of the file is sturdy enough to penetrate GP, and remove it quickly and effectively without the need of a solvent. Importantly, the file dimensions allow for a conservative preparation. I find it is flexible enough to work around canal curvatures and respects the canal anatomy well"

Dr. Kreena Patel

BDS(Hons)MJDF

MClinDent(Dist) MEndo

Specialist Endodontist

Brigstock Dental Practice, Thornton Heath, Surrey

Swift and sure

After expanding steadily over the course of 20+ years, Jonny Swift, principal of Crescent Lodge Dental Practice (CLDP) in South London, started to think about selling up. He approached Dental Elite for a valuation and to see whether this would be a good time to take those next steps. Here he shares his experience:

“Our practice had been expanding steadily over the last 20 years, and then doubled in size post Covid lockdown. We wanted to see our patients who hadn’t had access during this time, and there was enormous demand from new patients who couldn’t see their own usual dentists.

“Running such a large practice –which had reached 8 surgeries – was starting to take its toll. I wanted to be able to manage our great team well, provide a large patient base with easy access to a high standard of care, and maintain a high level of CQC compliance. My energy levels and enthusiasm were waning.

“A close friend recommended that I approach Dental Elite, after they had sold their practice with the team’s help. When asked why they sold so early in their career, they replied ‘it was too good an offer to pass’.

“So, I contacted Dental Elite, and Phil Kolodynski [Director of Practice Sales] was very efficient in asking for some stats and arranging a practice visit at a time that suited me. He gathered more information so that

he could provide a valuation range, which was surprisingly attractive at almost double what I had thought it would be worth.

“After discussing the options with my partner, we decided to go ahead with the sale. Dental Elite put a presentation together and already had a list of buyer clients in mind. Within a couple of weeks, we had four viewings, followed by three offers – one of which we accepted.

“This was all a new experience to me as I had bought the practice from my previous boss. The Dental Elite team talked me through the whole process so I knew what to expect, which was helpful.

“The initial heads of terms were agreed and we commenced gathering a lot of information for the due diligence process. I can safely say that this was much more involved and time-consuming than I had expected. It all needed to be done discreetly in order to avoid publicising the sale and maintain stability of the business. However, Phil from Dental Elite helped out an awful lot, answering questions when we were unsure of anything –we had the same great experience with our lawyer.

“There were a few stages of negotiation along the way – which is not unusual – one of which was a much lower offer compared to their initial figure. They had reviewed the documentation and calculated a different valuation to the asking price. However, Phil and Luke Moore [Co-founder of Dental Elite] engaged

with them directly to successfully negotiate the figure almost back to the original valuation. There were also conversations about the tie-in period expected by the buyer, which was a little frustrating as the details weren’t stated from the beginning. However, this too was agreed and the sale went through successfully.

“Dental Elite provided a lot of support throughout the entire process, and after completion. This helped to ensure that I received the full payment. Now that I am feeling less stressed, I am also able to continue ensuring a smooth transition for my team.

“I would definitely recommend Dental Elite to others. If you’re considering selling, get a valuation with them – it may make your mind

Lessening the litigation

Litigation has sadly become rife in dentistry. It is the cause of much anguish among professionals. Nearly 90% of dentists surveyed admitted to becoming increasingly worried about patient complaints, with 74% believing these fears were impacting the way they practised. With the risk of litigation being such an enormous source of stress, it is important that clinicians find ways to reduce the likelihood of a complaint.

in numbers

Litigation is generally on the rise in dentistry. The Parliamentary and Health Service Ombudsman reported an increase in complaints about NHS dental practice of 66% between 2017/18 and 2022/23.

The number of complaints received by the Dental Complaints Service Review is reported every year. The 2021-2022 figures show that composite bonding represented the highest proportion of complaints received at 22%, with endodontics and bridges and veneers the lowest risks at 3%, 4% and 4% respectively. Orthodontics has remained a significant area of litigation since 2015, as have crowns and dentures. Cleary, patients may be unhappy with any type of treatment, meaning it is important for all dental professionals to reduce the risk of litigation, regardless of their clinical interests or specialities.

Why the complaint?

To achieve this, we must first understand why patients complain about the care they have received.

It has been suggested that most issues arise from either the patient being dissatisfied with an aspect of their treatment or service, or their expectations are not met. Triggers for the complaint include a perceived poor attitude from the treating dental professional(s), poor appointment time-keeping, a low standard of treatment and fees.

communication and consent

Some of these can be difficult to avoid entirely, but steps can be taken to reduce potential issues. For example, good scheduling can prevent delays, while innovative technology and clinical training can enhance the quality of treatment delivered.

Several of the other factors mentioned can be improved upon with a robust consent process. This, in turn, is dependent on effective communication.

Open and honest conversations must occur before treatment has even begun. The patient must be given sufficient information to comprehend their current situation, their need for treatment and what the procedure itself involves. By ensuring that patients understand the recommended treatment, as well as how much it will cost and potential risks and limitations

of outcomes, practitioners will be able to manage their expectations. A fully informed patient will have realistic expectations of their treatment from the outset, which means they are more likely to be satisfied with the result achieved too.

Chairsyde – a state-of-the-art patient consultation platform – is designed to enhance the communication and consent process. It enhances patient understanding of the treatments being proposed and therefore supports fully informed consent for a reduced risk of litigation. This is achieved with a library of animations, which illustrate clinical procedures in a way that patients can understand with ease. Treatment steps, benefits, risks and limitations are all covered, helping patients to engage with their oral health care and make the right decisions for them. This also manages their expectations and facilitates increased satisfaction with the end result.

Happy patient, happy dentist

With effective communication and fully informed patient consent, dentists can enjoy a reduced risk of litigation in their everyday work life. Not only does this mean happier patients, but it can also help to minimise the stress that dentists experience in practice too.

For more information, or to book a demo, please visit www.chairsyde.com or call 020 3951 8360 n

up for you about whether to proceed! Be prepared for a few months of hard work and a couple of ups and downs, but you can be confident in a satisfying conclusion.”

The sale of Jonny’s practice completed in just six months, showing that with expert support and advice, along with good preparation, the process can be made as painless as possible. The team at Dental Elite has more than a decade of experience in the buying and selling of dental businesses to help every principal to a successful sale. To find out how Dental Elite can assist with your business decisions, contact them today.

For more information contact the Dental Elite team on 01788 545900 or visit https://dentalelite.co.uk/ n

business bites addressing everything business

Loven Ganeswaran, ceO and founder chairsyde.

Helping dentists around the world empower their patients to make better decisions about their health.

We’re a specialist dental practice sales agency, so whether you are looking to sell your dental practice on the open market, selling to your associate or intrigued with Corporate interest, we’ve helped thousands of dentists like you.

You cannot be in better hands with our expert valuers, a single point of contact throughout the sale and in-house legal team, allowing us to

advise you from start to finish.

We work with dentists all over the UK

Our scale and reach means we’re here to help wherever you’re based

Practice sales over the past 12 months 50+

Current dental accountancy clients 1200+

Practice finance raised in the last year £15m+

Expert Valuations

Accurate valuations for associate & principal led models with advice on enhancing the practice value.

We liaise with solicitors, buyers, and CQC to ensure everything is in place to minimise stress and give a smooth sale.

1000s of buyers

Get access to 1000s of pre vetted purchasers, being individuals, small groups and all of the major corporates.

In House Legal

We have specialist dental solicitors with expertise in commercial law,

law, and CQC processes.

Offer Negotiation

We will ensure your practice attracts the best possible price by negotiating the sale on your behalf.

Turn static files into dynamic content formats.

Create a flipbook
Issuu converts static files into: digital portfolios, online yearbooks, online catalogs, digital photo albums and more. Sign up and create your flipbook.