Smile Mar/Apr 2024

Page 1


References: 1. Vs baseline, Nathoo et al. J Clin Dent. 2009;20 (Spec Iss):123 –130 (when toothpaste is applied directly with a finger tip to each sensitive tooth for one minute.) 2. With continued use, Docimo et al. J Clin Dent. 2009;20 (Spec Iss):17–22. 3. Vs previous formula, in vitro acid resistance after 5 brushings, report by Hines 2021, Data on File, Colgate-Palmolive Technology Center (2021).

1 and long-lasting pain

2 Now with enhanced acid resistance 3 80.5 % Long-lasting reduction in sensitivity pain2 Reduction in sensitivity pain from the first use 1 60.5 % And superior dental tubule occlusion4 with PRO-ARGIN + Zinc Phosphate

References: 1. Vs baseline, Nathoo et al. J Clin Dent. 2009;20 (Spec Iss):123 –130 (when toothpaste is applied directly with a finger tip to each sensitive tooth for one minute.) 2. With continued use, Docimo et al. J Clin Dent. 2009;20 (Spec Iss):17– 22. 3. Vs previous formula, in vitro acid resistance after 5 brushings, report by Hines 2021, Data on File, Colgate-Palmolive Technology Center (2021). 4. Pro-Argin technology vs Stannous fluoride / sodium fluoride technology. Liu et al. J Dent Res. 2022;101(Spec Iss B):80.’ Scan the QR code to learn more or visit www.colgateprofessional.co.uk/products/sensitive-instant-relief

Dental hygienists and therapists to gain ‘greater powers’ following public consultations

The Department of Health and Social Care and its Parliamentary Under Secretary, Andrea Leadsom MP, have announced plans to streamline processes within dental and pharmacy settings and improve patient experiences by granting ‘new powers’ to dental hygienists and dental therapists, as well as pharmacy technicians, following two public consultations.

The move will reportedly help to free up access to care for patients across dental practices and pharmacies while building on efforts to improve access to primary care, including through Pharmacy First and the Dental Recovery Plan.

Primary Care Minister Andrea Leadsom has announced dental hygienists and dental therapists will be able to supply and administer medicines, including pain relief and fluoride – without sign off from a dentist. This, in theory, will free up more time for dentists, allowing them to deliver more patientfacing clinical services and improving access to primary care services for patients.

The announcement is part of the latest series of measures the government has brought forward to cut waiting lists and improve access to primary care, which includes the publication of the Dental Recovery Plan, which aims to free up 2.5 million more appointments this year, and the expansion of the Pharmacy First scheme, which enables

pharmacists to treat seven common conditions, and will reportedly free up to 10 million GP appointments per year.

There are currently over 25,500 pharmacy technicians working in pharmacies across England, Scotland and Wales, while there are 9,733 dental hygienists and 6,198 dental therapists currently registered with the General Dental Council in the UK.

Primary Care Minister Andrea Leadsom added: “We want to give patients faster, simpler and fairer access to the care they need, when they need it – and giving these powers to pharmacy technicians, dental therapists and hygienists will do just that. Today’s announcement shows we are

continuing to deliver on our promises made to improve access to primary care for all, building on the government’s long term ambitions, including through the Dental Recovery Plan and the expansion of the Pharmacy First Scheme.

“We want to ensure our fantastic staff are recognised for the vital work that they do, working to their full scope of practice and delivering for everyone who walks through their doors.”

Miranda Steeples, President of The British Society of Dental Hygiene and Therapy, said: “BSDHT welcomes plans to enable our professions to work to the full extent of their skillset and give them new powers that enable them to offer patients the care they need. Everyone will benefit from an oral healthcare team that runs more smoothly and uses its time effectively.”

Dr Fiona Sandom, Chair of The British Association of Dental Therapists, said: “The British Association of Dental Therapists is delighted that dental therapists and dental hygienists will soon be able to supply and administer certain prescription only medicines to patients without a need for a patient specific direction (PSD) or a patient group direction (PGD). This will allow dental therapists and dental hygienists to use their full scope of practice and deliver the care they have been trained and educated to deliver.” n

Trio of new programmes established to improve oral health in Cornwall’s children

Cornwall Council, Smile Together Dental CIC and Peninsula Dental Social Enterprise have teamed up to improve the oral health of children across the county with three new programmes.

It comes as figures reveal an 83% increase in the number of caries-related tooth extractions in hospital for 0-to-19-year-olds compared to the previous year 2020/2011.

The first programme, Smarter Smiles, will provide Oral Health Education and a Fluoride Varnish programme as well as an accreditation scheme for schools and nurseries in areas of high decay across Cornwall, championing a ‘whole-school’ approach to oral health promotion and prevention.

Smarter Smiles builds on the legacy of the successful Brighter Smiles oral health programme which delivered toothbrushing clubs, fluoride varnishing and oral health education to around 6,500 children each year.

The Smarter Smiles combined oral health promotion team will not only continue this work with young children but complement it by making a sustainable difference to the oral health of children and adults with additional needs.

The second new programme, named First Dental Steps, will see the council’s Health Visitors support families with tooth-brushing for 9–12-month-old babies.

And the third will see free oral health packs distributed to every two-year-old in the county, estimated to be around 7,500 children, thanks to the generous support of Smile Together and Go Cornwall Bus Company.

The three schemes combine to form an integrated oral health pathway to give children the best possible start in life.

Cllr Dr Andy Virr, Cabinet Member for Public Health at Cornwall Council, said: “Extraction of teeth because of tooth decay continues to be the most common reason for hospital admission in children aged 6 to 10 years1. This is preventable and oral health is an important aspect of a child’s overall health status and their school readiness and their ability to learn and develop.

“It could not be a better time for our partnership to launch this critical oral health pathway to support the oral health of Cornish children from nine months to five years and enable even earlier interventions.”

Alison Cane, Outreach Manager at Smile Together said: “Since 2015, Cornwall Council and Smile Together have co-funded the delivery of Brighter Smiles, Cornwall’s oral health programme, which has seen our outreach team engaging with thousands of children each year. Delivering this expanded Smarter Smiles oral health programme will positively

influence the oral health of thousands more children and adults most in need across Cornwall and the Isles of Scilly.”

The new First Dental Steps scheme is a national Health Visitor-led infant oral health improvement programme in collaboration with NHS England. There are approximately 5,000 births a year in the county and Smile Together dental experts have been sharing information for Health Visitors to support families with effective toothbrushing of children aged 9-12 months at their Health Visitor review.

Families will benefit from oral health packs including age-appropriate toothbrushes, sippy cups designed for toddlers to prevent or reduce spills, and oral health advice and guidance, preventative advice and prevention clinics, and onward referrals where needed for specialist dental treatment for more complex dental cases.

In addition to all this, Smile Together and Go Cornwall Bus are jointly funding free oral health packs to every two-year-old in Cornwall with distribution once again via the Health Visitor network.

These packs will contain age-appropriate toothpaste, toothbrushes and a ‘top tips’ leaflet for the family giving oral health advice and guidance.

Mark Collins, Commercial Director at Go South West, said: “Recognising the importance of children’s oral health we were keen to become an oral health supporter. As we provide a comprehensive network of bus services throughout Cornwall, we wanted something with county-wide impact so this opportunity to ensure an oral health pack reaches every two-year-old is perfect, filling the gap between First Dental Steps and Smarter Smiles to ensure there is a smooth oral health pathway for every child from 9 months through to 5 years.” n

Follow us : @SmileOHMmag

We were putting the final couple of pages together for this issue in the days leading up to the Easter weekend when news broke that dental hygienists and dental therapists in England are to gain ‘greater powers’.

Managing Editor

James Cooke james cooke @purplems.com

Tel: 01732 371 581

Commercial Director

Gary Henson gary.henson@purplems.com

Tel: 07803 505208

Media Enquiries

Ed Hunt ed.hunt@purplems.com

Tel: 01732 371 577

SUBSCRIBE TO SMILE

Rates: UK £39.95 per year; Overseas £83 - all cheques in sterling drawn on a UK bank made payable to ‘Smile’. 8 issues including 16 hrs CPD £39.95

Published by Purple Media Solutions

The Old School House, St Stephen’s Street Tonbridge, Kent TN9 2AD Tel: 01732 371 570

Production and Designer 1 Lorna Reekie lorna reekie @purplems.com

Tel: 01732 371 584

Production and Designer 2 Rob Tremain rob.tremain@purplems.com

The Department of Health and Social Care unveiled plans to streamline processes within both dental and pharmacy settings in order to increase access to patient care. On the dental side, these plans will build upon the Dental Recovery Plan announced earlier this year and what it boils down to is that dental hygienists and dental therapists will be able to supply and administer medicines, such as fluoride and pain relief medication, directly and with no sign off from a dentist.

The news has been widely welcomed and we caught up with BSDHT President Miranda Steeples for a special edition of The Probe Dental Podcast to discuss what this means. You can listen to or watch the interview here:

– or scan the

code.

the magazine, nor of Purple Media Solutions Editorial Advisory Board: Dr Barry Oulton, B.Ch.D. DPDS MNLP; Dr Graham Barnby, BDS, DGDP RCS; Dr Ewa Rozwadowska, BDS; Dr Yogi Savania BChD, MFGDP; Dr Ashok Sethi, BDS, DGDP (UK), MGDS RCS; Dr Paroo Mistry BDS MFDS MSc MOrth FDS (orth); Dr Tim Sunnucks, BDS DRDP; Dr Jason Burns, BDS, LDS, DGDP (UK), DFO, MSc; Prof Phillip Dowell, BDS, MScD, DGDP RCS, FICD; Dr Nigel Taylor MDSc, BDS, FDS RCS(Eng), M’Orth RCS(Eng), D’Orth RCS(Eng); Mark Wright BDS(Lon), DGDP RCS(UK), Dip Imp Dent.RCS (Eng) Adv. Cert, FICD; Dr Yasminder Virdee, BDS.

ORAL HEALTH

in association with:

Other titles include:

Divisional Administrator Francesca Smith francesca.smith@purplems.com Tel: 01732 371 570

Circulation Manager Andy Kirk

Managing Director

Steve Hardiman

steve.hardiman@purplems.com Tel: 01732 371 570

Report highlights true impact of oral disease

The Oral Health Foundation is supporting calls for multi-pronged approach to improve global oral health, following the release of a new report.

‘Time to Put Your Money Where Your Mouth Is: Addressing Inequalities in Oral Health’ looks at the urgent need for better alignment between policy, public health initiatives, payment systems, and clinical practice, to address the pressing challenges facing oral health.

Published by the European Federation of Periodontology (EFP), in collaboration with Economist Impact, the report investigates periodontitis and caries, offering a holistic perspective on the global prevalence of oral diseases and the urgent need to address existing inequalities.

One of the major findings shows oral health is largely excluded amongst NCDs, despite a recent World Health Organisation (WHO) resolution urging oral care integration into wider healthcare.

Dr Nigel Carter, chief executive of the Oral Health Foundation, was part of the editorial team for the report and believes the shift in understanding oral diseases as preventable non-communicable diseases (NCDs) is crucial.

Dr Carter says: “It’s disheartening that mainstream NCD discussions often overlook oral health despite the 2021 WHO Resolution. Neglecting the impact of oral health and its shared risk factors with other NCDs is a missed opportunity for comprehensive healthcare planning.

“Urgent action is needed to boost public awareness on the relationship between oral health and overall well-being. A vital step for a healthier society.”

The report, which was supported by Haleon, also identifies several barriers towards implementing effective preventive measures. These included a lack of political will for water fluoridation, varying sugar tax success, and pandemic-related disruptions to school-based programmes.

“Preventive measures are crucial for reducing oral diseases, yet formidable barriers persist,” adds Dr Carter. “The urgent need for community support is clear. The public, clinicians, and campaigners must intensify pressure on policymakers to overcome challenges like political reluctance, geographical complexities, and industry opposition. Emphasising community water fluoridation, sugar taxes, and robust education programmes is vital for a global shift towards improved oral health.”

Presented by the EFP in Brussels, the report also expressed concerns that clinical care for dental caries remains largely focused on a “repair approach”.

Analysis found that decades of oral care focus has been placed on reactive, not preventive, measures. It also revealed limited preventive training and inadequate incentives for health professionals.

Dr Carter says: “The core issue in the UK lies in an unfit dental contract solely focused on UDAs, sidelining preventive care. Urgent reforms are essential, emphasising the need to expand the oral health workforce and implement robust payment incentives that prioritise and reward preventive measures.”

The report also laid bare the economic burden of oral disease. Direct global treatment costs due to the three most common oral conditions (caries, severe periodontitis, and severe tooth loss) were estimated at £285 billion yearly, representing around

5% of worldwide health expenditure. The indirect costs due to loss of productivity was estimated at roughly £150 billion.

Dr Paula Vassallo, President of the European Association of Dental Public Health, looks at the bigger picture when it comes to the economic burden and potential opportunity to improve population health and save finite resources for the health system.

Dr Vassallo says: “Oral health is like the canary in the coal mine. If an individual has oral health problems, what is going to be the cost of all the additional factors? Not only the economic burden in terms of absenteeism and presenteeism from work, but also other NCDs.”

The UK was given the unwanted position of being the country with the highest per-person cost for treating dental caries – amounting to £18,000 perperson. This cost jumped to around £23,000 for more deprived people, who face disproportionate economic burden due to limited treatment options.

Economist Impact modelled the cost savings associated with preventive strategies. They found that implementing preventive interventions could reduce caries rates by as much as 30% while substantially cutting costs.

“Targeted preventive management is crucial across the entire population, but it will undoubtedly have a greater impact for addressing socioeconomic disparities,” adds Dr Carter. “There must be a firm commitment from government to level-up oral health and narrow the gap between the highest and lowest socioeconomic groups.”

Read the full report: https://tinyurl.com/EFPOralHealth n

New dental service for underserved communities

NHS Hampshire and Isle of Wight has partnered with Dentaid The Dental Charity to provide a new mobile dental service for people experiencing health inequalities who struggle to get dental care.

The innovative project is a partnership to alleviate pressure on existing dental services and increase access to care for those facing difficult circumstances.

Patients, including families experiencing poverty, people at risk of homelessness, children, and new and expectant mothers in areas at highest risk of poor dental health, will be able to make appointments to see the dentist on a mobile dental unit.

Emergency appointments will also be available for eligible patients who are suffering acute pain

and have no other access to dental care.

Dentaid’s mobile dental units will be parking outside community centres, public buildings and sports facilities across Hampshire and the Isle of Wight. Eligible patients will be invited to make appointments to see the dentist onboard who will provide checkups and oral cancer screening, oral health advice and emergency care including extractions and fillings. All treatment will be free of charge.

The service is for Hampshire and Isle of Wight residents facing health inequalities who have no other access to dental services. Agencies including support services, community groups, GP practices, foodbanks, charity partners and 111 will be signposting eligible patients to make an appointment.

The partnership will provide clinics across Hampshire and Isle of Wight over 18 months. The first clinics will take place in Southampton, Havant, Cosham and Portsmouth followed by the Isle of Wight in March and other areas of Hampshire later in the year. The service is designed to help communities at the highest risk of social exclusion to access dental screening, advice and urgent care. n

NHS dental access crisis causing anxiety

The Oral Health Index, published by the Wrigley Oral Healthcare Programme to coincide with World Oral Health Day on 20th March, shows broad public disenchantment with dental services across the country.

While 68% of people say they feel more confident with a healthy smile, nearly a third of people (32%) report being stressed or anxious about the state of their own oral health.

Furthermore, one in ten people (10%) in England have missed more than two weeks of work in the past three years due to dental problems, a national survey has found. The younger workforce has been hit twice as hard, with one-in-five 16- to 34-year-olds reported to have missed at least a fortnight of work over oral health problems.

Two-thirds of respondents (64%) believe the country is experiencing a crisis in dental service provision – a broadly similar proportion to 2022’s Index (67%).

An overwhelming majority (72%) of people want to see more investment from Government in dental services, with over three in five (62%) wanting dental professionals to be paid more for NHS work, three-quarters (76%) thinking more dental professionals should be recruited, and nearly half (46%) supporting fluoridation as a measure for supporting good oral health.*

Economic research commissioned by the Wrigley Oral Healthcare Programme last year showed that rolling out supervised toothbrushing programmes for children in targeted areas, expanding the coverage of water fluoridation schemes, and encouraging the public to chew sugar-free gum could together save the NHS over £50 million per year. NHS patients could collectively save £95.9m a year.

Speaking on publication of the Oral Health Index on behalf of the Wrigley Oral Healthcare Programme, Dr Ben Atkins said: “Without regular dental check-

ups, smaller and preventable oral health issues can easily turn into much larger problems that require urgent and lengthy treatments. This is leaving people in pain and resulting in them taking extended periods of time off work, too.

“The Oral Health Index’s findings have underscored the importance of addressing the crisis in NHS dentistry.

“A mix of investment in services and preventative programmes is needed, and we want to see the contribution that sugar-free chewing gum can make to good oral health reflected in national guidance.”

British Dental Association Chair Eddie Crouch said: “The collapse of NHS dentistry isn’t just hurting millions of patients, but the wider economy. Every time Ministers take a miserly approach to funding it hits other parts of their balance sheet. Not just the costs hitting our hospitals and GP surgeries, but the millions of lost hours in our workplaces.” n

Rise of the Internet dental diagnosis

From the bizarre, and the ridiculous to the positively dangerous, online ‘dentistry’ has been blooming in popularity

As of January 2024, there were 5.35 billion internet users worldwide, which amounted to 66.2% of the global population. Of this total, 5.04 billion, or 62.3% of the world’s population, were social media users.1

It is hard to get an exact number of those who are regularly performing dentistry on themselves. However, in February, polling by the British Dental Association (BDA) revealed that 82% of dentists are treating gruesome cases of DIY dentistry.2

The internet and social media are part of our everyday lives. It is easy to understand why some people are turning to the internet for advice. The ongoing dental access crisis that has been building over the last few years, has left many desperate for dental advice wherever they can get it.

Why not get it at the touch of a phone screen?

Like a lot of the information that can be found on the internet, this advice may not be coming from a dental professional. At best, the advice may be useless. At worse, it could actually damage a patient’s teeth and gums.

What are the biggest internet issues?

Using the internet to impart information can have benefits. For example, you can reach a wide audience, it is quick, and relatively cheap. However, despite sites such as YouTube trying a verification process to ensure that information is coming from a reputable source, some misinformation still slips through.

Reams of misinformation and wrong claims abound on the internet. You can visit sites such as TikTok to investigate all the ways people are putting their smiles in danger.

Influencers are recommending rubbing fruit like strawberries and lemons on their teeth constantly to whiten them. Filing their teeth with a nail file so they look straighter. Using nail glue to fix their loose teeth to the gums.

These examples are certain to send a shudder of horror through any dental professional when their patients admit to attempting them. These types of DIY dentistry can cause permanent damage to patients’ mouths.

More importantly, these practices can cause pain and be costly to correct, putting pressure on the dentist to perform miracles and undo the damage.

What can dental professionals do?

So, what can dental professionals do to help stamp out this problem?

It’s not often our regular patients who are most at risk from these ‘quirky’ recommendations. Those who do not have regular access to dental care in the UK are the most likely to seek dental advice online.

An estimated 10 million people in the UK are currently waiting for a routine NHS dental appointment and 19 million appointments were missed during the pandemic, according to the British Dental Association.3

These are staggering figures and are unlikely to be reducing any time soon. How do we reach out to warn those we don’t see in our dental practices?

We can reach out through our social media to promote better and correct dental advice. Using dental practice websites to put out relevant, safe information will also help stop the potentially permanent damage to teeth and gums.

Preventative care should always be at the forefront of all dental treatment and advice. If patients start using our recommended preventative measures to take care of their teeth, they are less likely to need as much complex dental treatment, leaving more appointment time for new patients.

In the meantime, we must encourage patients to book dental appointments as often as their dental professional recommends, and not skip these regular visits.

References

1. Internet and social media users in the world 2024 | Statista

2. 8 in 10 dentists seeing cases of ‘DIY’ dentistry (bda.org)

3. The-great-british-oral-health-report-2021.pdf (dentistry.co.uk) n

ABOUT THE AUTHOR

KAREN COATES

Karen Coates, Oral Health Content Specialist at the Oral Health Foundation, and RDN

For

Better

Communicate

Detect

The vibrant world of BSDHT’s regional groups

Sakina Syed explores the vital role of the British Society of Dental Hygiene and Therapy’s regional groups in enriching the professional lives of dental hygienists and dental therapists across the UK

Jumping straight to the heart of the matter, the British Society of Dental Hygiene and Therapy’s (BSDHT) regional groups offer a platform for continuous professional development, networking, and access to the latest advancements in dentistry.

After all, the General Dental Council (GDC) underscores the importance of lifelong learning through its Enhanced Continuing Professional Development (eCPD) requirements. The BSDHT not only recognises this imperative but elevates it through a number of local and national events. With a blend of educational formats, including face-to-face and online, the Society caters to the modern dental professional’s need for flexibility. These meetings, often offering avenues for both learning and networking, underscore the BSDHT’s commitment to its members’ growth and satisfaction.

Staying ahead of the curve

Central to our profession lies the need for a continuous and constant pursuit of knowledge. With this in mind, BSDHT regional group meetings and educational events are the perfect platforms for dental hygienists and dental therapists to stay abreast of the latest advancements in dentistry.

From TED-style talks to deep-dive sessions, the offerings are diverse. The reinvigoration of the London region in 2022 and the emphasis on high-level topics for both dental hygienists and dental therapists across the board highlight the BSDHT’s dedication to professional excellence.

Without doubt, the high scientific and clinical standards of BSDHT’s educational programmes throughout the UK are a testament to its robust educational commitment and adherence to GDC eCPD standards. This dedication ensures that every lecture, every hands-on workshop, and every networking opportunity not only informs but also inspires and builds confidence.

What’s more, members have the option to attend any regional group within the UK, benefiting from significantly subsidised rates.

A strong connection

Recognising the varied professional goals and career stages of its members, the BSDHT ensures that its events and speakers resonate with everyone. The emphasis on peer speakers from within the dental hygiene and dental therapy fields fosters a sense of community and growth, pushing the profession forward collectively.

BSDHT events also offer a unique opportunity for professionals to engage with dental companies in a relaxed setting, fostering genuine learning about new products and services without the pressure of sales.

Within the BSDHT community, all are welcome. To learn more, visit www.bsdht.org.uk/regional-groups/ and select your local region. The BSDHT family looks forward to welcoming you to our regional groups soon.

This friendly atmosphere, complemented by exclusive offers, enhances the learning experience and supports professional development.

Gateway to success

For those on the fence about membership, attending BSDHT study days highlight the many benefits of being part of this vibrant community. The instant access to networking opportunities and the shared experiences of current members emphasise the value of joining the BSDHT family.

My own journey with regional groups began as a student, when I presented an article I had authored. This experience helped me to begin my clinical career, serving as a valuable example in subsequent interviews for clinical positions and illustrating the profound impact of networking and peer support.

These connections not only enrich our professional lives but also open doors to new opportunities and collaborations, underscoring the invaluable role of BSDHT’s regional groups in fostering community and support among peers.

The dedication of the volunteers running the regional committees is the backbone of BSDHT’s success. Their commitment, coupled with the positive feedback from delegates, fuels the continuous improvement and innovation of the events, making each meeting not just an educational opportunity but a gathering of like-minded individuals passionate about their profession.

For instance, the Oral Health Conference (OHC) is a testament to the joy and professional

growth that comes from community and shared learning experiences. Taking place in Harrogate this year, once again it is primed to distinguish itself, renowned as the annual event is for its diverse lectures, clinical sessions, and networking opportunities.

BSDHT bonding

The BSDHT’s regional groups offer a rich tapestry of opportunities for dental hygienists and dental therapists in the UK. Through educational events, networking, and peer support, these groups provide a foundation for professional growth, community, and lifelong learning.

I invite my colleagues to explore this vibrant world, to learn, to connect, and to grow together in our shared journey towards excellence in dental hygiene and dental therapy. n

ABOUT THE AUTHOR

Sakina Syed is an award-winning dental hygienist and dental therapist working in private practice in London. She is also chair of the BSDHT’s London group.
SAKINA SYED

FINER • SHARPER • STRONGER

Expertly crafted to provide maximum comfort and tactile sensitivity

Beyond the mouth: oral health and systemic conditions

Claire Berry highlights the critical association between oral health and systemic diseases, urging dental colleagues to expand their knowledge and practice beyond traditional dental care

It’s an exciting time to be a dental hygienist, as we now recognise the undeniable interconnection between the health of the mouth and the overall well-being of the body. This recognition shifts our practice from being solely focused on ‘teeth and gums’ to considering our patients’ holistic health.

Today’s contemporary hygienist is not only an expert in preventive care, but also a crucial educator, advocating for the integration of oral health with systemic health to both patients and the wider healthcare team.

This transition is underpinned by a growing body of research indicating a powerful connection between oral health and systemic conditions, such as diabetes and heart disease. The increasing research into the links further elevates the importance of dental hygienists in the multidisciplinary healthcare framework (Gurenlian, 2016).

The link is clear

Myriad studies have unambiguously linked poor oral health with a higher likelihood of systemic conditions such as cardiovascular diseases, diabetes, and even Alzheimer’s (Li et al, 2020; Singhrao & Olsen, 2019).

You may be asking, how is the link between the mouth and systemic disease even possible? With the amount of evidence demonstrating links to so many health conditions, the answer to that question is long (albeit also extremely interesting).

I could write a book on each condition, but let’s summarise here for now. We hear about the gut microbiome in the media all the time. Similar to the gut microbiome, the mouth has a microbiome of its own. A microbiome is a ‘soup’ of microorganisms, such as bacteria of many different species, most of which are harmless. We need to maintain a balance of the good and bad bacteria for the mouth to remain healthy.

Unfortunately, the journey from oral health to systemic disease often begins with these microscopic inhabitants. Poor oral hygiene and mature biofilm can lead to periodontal disease and other oral conditions that can set off a chain reaction impacting the entire body (Li et al, 2000).

Cardiovascular health

For instance, the link between periodontal disease and cardiovascular health is among the most studied. Researchers have found significant correlations between chronic gum disease and heart disease, stroke, and atherosclerosis. The theory is that inflammation caused by periodontal disease may contribute to the development of cardiovascular conditions (Beck et al, 1996).

You may be 2-3x more likely to suffer from heart disease if you have chronic periodontitis and 3x more likely to suffer from a stroke that affects the larger arteries in the brain, leading to more catastrophic injury.

In a nutshell, chronic inflammation from periodontal disease causes circulating inflammatory markers. These markers can induce endothelial dysfunction, which can cause atherosclerosis. It may cause problems and blockages in the smaller vessels first, before becoming an issue in larger vessels.

Diabetes – a two-way relationship

Another interesting connection is the diabetes bidirectional relationship. Diabetes increases the risk of periodontal disease, and conversely, severe periodontal disease can exacerbate diabetes by impacting blood glucose control.

This reciprocal relationship emphasises the importance of dental professionals in managing not only oral health but, in the same process, also assisting in systemic disease control (Taylor et al, 1996).

Uncontrolled diabetes increases the sugar in saliva and gingival crevicular fluid (GCF), making biofilm hard to control (as this is the favourable food source for early colonisers in the biofilm life cycle). This rise in bacterial load increases the risk of periodontitis and caries. However, the systemic inflammation markers released in the presence of periodontitis causes a cascade of events that leads to a difficulty in glycaemic control.

Pregnancy matters

Pregnancy, another common interaction and number 3 in what I like to call the ‘BIG 4’ (most likely conversations I have with patients about systemic disease), introduces another fascinating aspect of the oral-systemic health connection. Hormonal changes during pregnancy can lead to pregnancy gingivitis and more severe forms of periodontal disease.

There is also evidence to suggest a link between periodontal disease and adverse pregnancy outcomes such as preterm birth and low birth weight (Offenbacher et al., 1996). Bacterial species involved in periodontitis, such as Porphyromonas gingivalis, can invade the soft tissues and enter the blood stream.

They can cross the placenta barrier and cause issues such as foetal inflammatory response syndrome (FIRS). FIRS can also occur when IL-6, a cytokine released due to periodontitis, crosses the placenta barrier. A woman with unstable periodontitis at conception may not develop adequate spiral arteries during the formation of the placenta, which can eventually lead to dangerous complications such as pre- eclampsia. Plus, more simply, the general issue of systemic inflammation from circulating inflammatory mediators and prostaglandins, in response to bacterial infection, can cause spontaneous labour.

Meeting the challenge head on

The association doesn’t end there. Research has also begun to draw connections between oral health and conditions such as Alzheimer’s disease, osteoporosis, and even some forms of cancer. The common denominator in many of these conditions? Inflammation. It appears that it is systemic inflammation serving as the bridge between oral disease and systemic health issues.

So, what’s the role of the hygienist in this web of interconnections? First and foremost, it’s about prevention. Oral health optimisation (a term I coined as an alternative to the undesirable ‘scale and polish’) can play a crucial role in staving off systemic issues.

It all boils down to biofilm and the effects dysbiosis can cause on initiating disease, culminating in a systemic influx of circulating inflammatory mediators, such as cytokines. These mediators do not stay local to where the problem lies, and it is this chronic systemic inflammation that wreaks havoc on the body.

Oral health optimisation

What is the answer? Biofilm control and oral health optimisation, focusing the appointment on the professional management of biofilm, and educating the patient how to ‘turn it over’ daily to control it and prevent it maturing to initiate disease.

Guided Biofilm Therapy (GBT) is an evidence-based, indication-orientated, systematic, modular prevention for prophylaxis and a therapy protocol for all dental applications. For further information, simply visit ems-dental.com.

It’s why I love Guided Biofilm Therapy (GBT). It is a standardised, 8-step protocol that utilises Airflow technology to ensure 100% removal of biofilm. The powder itself is even anti-biofilm. It allows me the opportunity to focus my entire appointment on this and educate my patients effectively on the role biofilm plays in not just dental disease, but systemic disease as well.

By modernising my practice to this way of thinking and choosing innovative technology that helps me deliver my treatment in this way, it has empowered me to realise what we deliver as a profession is so much more than what was intended 70 years ago when the hygiene profession came into being. Or even 15 years ago when I qualified. We categorically do not provide a scale and polish. We need to change the language to change the narrative and that leads to a change of mindset.

Shifting perspective

The integration of systemic health into oral hygiene practice is not without its challenges. It requires a practice and clinician shift in perspective, additional training, an openness to new innovations and adaptation to roles within the healthcare team. However, the potential benefits for patient health outcomes make it worthwhile. Hygienists are positioned at the forefront of promoting holistic health through oral health optimisation. By embracing an integrated approach, we’re not just caring for mouths; we’re contributing to the improvement of global health standards—one patient at a time.

Integrating systemic and oral health is more than just a trend; it’s a paradigm shift in healthcare that recognises the mouth as a window to the body’s overall health. We are instrumental in leading this change. By focusing on this integration, we’re safeguarding the health of the entire body.

To integrate systemic and oral health fully, it requires a commitment from every dental hygienist to reconsider traditional practices, engage in continuous education, and collaborate across disciplines. It’s a journey that promises to redefine the dental hygienist as a cornerstone of holistic healthcare. n References are available upon request.

ABOUT THE AUTHOR

BERRY

Claire Berry is a multi-award-winning dental hygienist and a Swiss Dental Academy trainer for EMS, a key pacesetter in dental prophylaxis training, including Guided Biofilm Therapy.

• A dentolegal advice line, with out-of-hours advice available for emergencies 24/7, 365 days of the year

Tooth wear: UK dentistry’s hidden struggle

Prof. Paul Tipton explores the causes and symptoms of tooth wear, and bruxism in particular, offering insights into managing this often-overlooked condition

When it comes to tooth wear, as a practising dentist, there are two primary aetiologies that I encounter most frequently.

The first, erosion, is often linked to dietary habits. An excessive intake of acidic beverages, including fizzy drinks and alcohol, particularly those with added citrus like lemon, contributes significantly to dental erosion. Additionally, the prevalence of modern diets high in acidic fruits further exacerbates this condition.

Medical issues such as bulimia and gastroesophageal reflux disease (GERD) also play a role, as they introduce gastric acids to the oral environment.

The second major aetiology is attrition, largely due to bruxism – the grinding and clenching of teeth. This physical wear is often a response to psychological stress, which has become increasingly common in our fast-paced society.

The prevalence and consequences of bruxism

Various reports suggest that anywhere from between 20 to 30% of the population grinds their teeth to some degree, and virtually everyone will clench and brux at some point. It is, in fact, a more significant issue than decay and periodontal disease in terms of prevalence.

Tooth wear caused by bruxism is called occlusal disease in dental circles. Occlusal disease encompasses problems arising from the way teeth meet and function together. This includes joint and muscle problems, breakdown of dental restorations, and broader implications on overall health and well-being.

The condition often affects one or possibly two components of the masticatory system, typically not all at once. If the temporomandibular joints are affected, it can lead to joint pain, difficulties in chewing, or noises like clicking and grating.

Muscle involvement often results in headaches, facial aches, and pains behind the eyes. Teeth can wear down, fillings and restorations can break, and the periodontal ligaments can become stressed, leading to tooth mobility.

It may have further repercussions, depending on the way sufferers respond to these symptoms. For instance, this condition often leads to heightened tooth sensitivity, prompting a shift towards softer food choices. Consequently, individuals tend to consume foods rich in carbohydrates while avoiding tougher textures, like meats, which are more challenging to chew.

This dietary adjustment can result in a notable reduction in protein and fibre intake, thereby potentially impacting overall body health. Such changes in eating patterns not only affect oral health but can also have far-reaching implications on the individual’s general well-being, both physical and psychological.

Prevention and treatment

Managing bruxism and occlusal disease requires a multifaceted strategy, with the primary aim of alleviating stress.

In treatment terms, the first line of defence in managing bruxism is the use of occlusal splints.

If you would like to know more about this important postgraduate topic, Prof. Tipton will be delivering a presentation entitled ‘Treatment Options for the Bruxist and Wear Patient’ at the British Dental Conference & Dentistry Show, to be held in Birmingham on 17 and 18 May. For further details, to register for your tickets and to see the full line up of expert speakers, simply visit: birmingham.dentistryshow.co.uk.

These devices, when correctly designed and used, can prevent further damage to the teeth and jaw. However, their effectiveness depends on factors like design, cost, and patient compliance.

Understanding the theory behind splints is crucial, as some types can worsen the condition. For example, soft splints, which are generally the only option available on the NHS, can be helpful for some but detrimental for others, while hard acrylic, fully adjusted splints offer more predictable results. When teeth are already damaged, restorative treatment becomes necessary. This can range from using composite materials for minor repairs to full reconstructions using ceramics or gold, the latter of which is particularly well-accepted by older patients. The choice of material and technique must be tailored to each patient’s specific needs and circumstances.

Restorative treatments also need to take into consideration the correct occlusal principles to ensure longevity of the restorations and health of the masticatory system.

The role of general dentists

General dentists can manage a significant proportion of cases involving bruxism and occlusal disease. Continuous education and practical training are crucial for dentists to diagnose, treat, and manage these conditions effectively. About 80 to 90% of treatments fall within the scope of general dental practice, with the remaining cases requiring specialist referral.

It is not at all as daunting as you might think, when you consider that to get started dentists need to understand just five principles:

1. Establishing jaw joint position: our initial approach focuses on aligning the jaw joint into its proper position, referred to as either ‘centric relation’ or ‘retruded axis position’. Despite the different terminologies used in occlusion, both

terms signify the same position, aiming to align the condyle (jaw joint) correctly.

2. Ensuring tooth contact: once the jaw joint is accurately positioned, it is crucial to verify that all teeth make simultaneous contact. This uniform contact across all teeth is essential for a comfortable occlusion.

3. Anterior guidance during movement: in movements such as forward and backward or side-to-side motions, it is important that the front teeth facilitate the sliding motion while the back teeth disengage. This concept, known as ‘anterior guidance’, is key to proper dental function.

4. Avoiding back teeth interference: during various movements, including bruxism, it is important to ensure that the back teeth do not interfere with one other. This means avoiding balancing side or nonworking side interferences which create class 2 leverage to maintain oral health.

5. Posterior stability: the focus here is on ensuring that the forces exerted on the back teeth are directed down the long axis of each tooth. This approach seeks to ensure that every posterior tooth has three points of contact to prevent tilting and maintain stability. So, the key to managing these conditions lies in education. Understanding the principles of occlusion, the mechanics of splint therapy, and the nuances of restorative treatments is essential.

Dentists must be proactive in identifying signs of bruxism and occlusal disease and should not hesitate to implement appropriate interventions, such as splints, to prevent further damage.

Embracing a holistic approach

As dental professionals, we must integrate these insights into our practice, ensuring comprehensive care for our patients. This approach not only addresses immediate dental concerns but also considers the broader implications on the patient’s overall health and quality of life. 

ABOUT THE AUTHOR

Prof. Paul Tipton is an internationally acclaimed Specialist in Prosthodontics who has worked in private practice for over 30 years. He is now Professor of Restorative and Cosmetic Dentistry at the City of London Dental School. In addition, Prof. Tipton is the founder of Tipton Training Ltd, one of the UK’s leading private dental training academies (tiptontraining.co.uk).

OTC vs Pro

Megan

Fairhall talks about over-the-counter whitening versus professional whitening

Most of my patients confide in me that they had used over-the-counter tooth whitening products before deciding to go down the professional route. Accessing cosmetic and beauty products has never been so easy and convenient – you see something you like, and you get it straight away over the counter, or order it online and received the next day.

Product claims suggest that the OTC whitening treatments are fast, easy, successful, safe and gentle - with no sensitivity issues. And when recognised consumer mavens like the Good Housekeeping Institute also confer their seal of approval, and allow their logo to be used selected whitening products they have reviewed, its little wonder that people confidently gravitate to them.

So why should we bother with offering professional teeth whitening? Are these consumer products actually competing with the whitening treatments offered by dental professionals? How can we justify charging a higher cost for these?

For me, it is a no brainer. We have a moral duty to educate our patients when it comes to their oral choices and to alert them to the risks they take when they are misled by miracle products offered on consumer platforms. We also have a huge amount of expertise that we need to put forward to differentiate our offering.

I educate my patients, and the people who follow me on social media that products featured on the web, and in various consumer outlets, cannot legally contain hydrogen peroxide, which means that they have little whitening effect. The ones that might appear to offer very short-term results, they actually just remove surface stains and make the teeth appear whiter initially, without changing the colour internally. With so many of these products, it is not clear what they actually contain, raising the question of safety to patients. I have often seen these to be abrasive causing long term damage to the teeth and removing

part of the enamel, which may even result in more staining. These could also contribute further to tooth surface loss with abrasion, attrition, abfraction.

Grey area about whitening

I hear of so many whitening horror stories involving trips abroad, backstage at beauty shows, and of course over the counter products, from influencers on line and from patients. The common theme is that there are so many ways to access tooth whitening, none of which involve a dental professional.

There is a grey area around what is regulated, the risk of damage to the teeth and gums and the fact that people are back to square one - or worse - with the same discoloured teeth and less money in their bank accounts.

That is when they get in touch with me. I could be annoyed that they think of me last, but as a matter of fact I am eternally grateful they finally see sense and seek out professional advice. There is still so much of education to do, and we need to continue raising awareness.

The professional route is first and foremost about duty of care. We will only consider patients for whitening if they are dentally fit and have no active disease. I cringe at the thought of someone with a large cavity who is using over-the-counter whitening products. Accessing that cavity with suspect product could cause more damage to the tooth and might lead to the need for root canal treatment. Gingivitis, gum disease, poor oral health all have to be addressed and treated professionally before moving on to any cosmetic whitening treatments. That is the correct code of conduct.

There is also misinformation, or shall I say lack of information when it comes to crowns, bridges, implants and veneers which won’t whiten, but patients rarely know that when they purchase products themselves. Conversely, our standard protocol calls for a full dental assessment in order

to provide the patient with a bespoke treatment plan, ensuring that their teeth get whitened prior to the restorations to avoid a colour mismatch. Where our whitening offer stands out is definitely in the tailoring of treatment to each individual in order to ensure successful results. No over-thecounter products mention issues like white spots, discolouration of single non vital teeth, tetracycline, minocycline and doxycycline staining, brown spots and nicotine-stained teeth. The intention is to attract buyers and sell volumes, using influencers and attractive claims without being specific on the individual needs.

I feel privileged that my patients not only value the end results, but also appreciate the whole thought process that goes into their treatment plans and follow ups. This creates loyalty and happy patients with healthy mouths. They convey this to their friendship circle or social media followers, and this correct, rather than misinformation permeates more widely.

In my experience, sensitivity is the main reason why people stop whitening. Interestingly, many of these over-the-counter products seem to purposely claim a lack of sensitivity or minimal sensitivity as sales tactics. These unregulated products cannot contain hydrogen peroxide, so of course people should experience no sensitivity but would also achieve no results. In practice, sensitivity as well as enamel protection are addressed in the whitening treatment plan with preventative measures taken if necessary. It is essential that sensitivity is regularly assessed and managed so that patients can complete the whole treatment and get the best results possible. With tetracycline staining, patients will see noticeable results over time after a long period of whitening, but again this needs to tailored specifically to their needs and treated as a complex case and not a standard one. Over-the-counter products would not be suitable, would end up as

an expensive exercise with no benefits whatsoever, leaving the person worse off in every way.

I would like to reassure my peers that despite the fact every patient is provided with an individual whitening plan, it is possible to start with a simple protocol that can work across the board. As they would build experience and confidence, they will then be able to start tailoring it to each patient’s requirements and take on more challenging and ultimately more satisfactory cases.

I have personally chosen to use Philips Zoom whitening (in-chair and home whitening) for the last eight years and the brand has helped me achieve consistently great results for my patients, effectively, safely and efficiently. Now, because of Philips’ corporate partnership with {my}dentist it also means I can provide guidance about whitening protocols and pathways to the group on its national tooth whitening programme across its network of nearly 600 practices.

I also run tooth whitening courses for dental professionals which take delegates through the management of a variety of cases and extends to practical tips including which trays to use – the better the trays, the better the results! You don’t want saliva leaking into the trays or gel leaking out of the trays. To mitigate this Philips has partnered with IAS and I advise everyone on my courses that this can save them hassle and time whilst providing excellent and easy solutions. For more information about the next dates, venues and times, visit: https://www.eventbrite. co.uk/e/online-teethwhitening-training-for-dentalhygienists-dental-therapiststickets-503642657747?aff=ebd soporgprofile

So, whenever patients start a discussion with you about over the counter whitening products, reinforce the message about effectiveness, sensitivity, tailored treatment plans, long-lasting results with minimal top up maintenance as opposed to over-thecounter products that don’t work and could potentially cause damage. It is in their best interest and can also save them a lot of money and disappointment. n

ABOUT THE AUTHOR

New For dry mouth – when just water is

not enough

1 in 5 suffer from dry mouth, and water is usually the standard remedy. But for many people, water only provides brief relief.

TePe’s new hydrating mouthwash and mouth gel ease the feeling of dry mouth, provides comfort, and protects teeth. We recommend the gentle, unflavoured products for those with a very dry mouth and mildly flavoured products for those with moderate problems.

TePe® Hydrating Mouthwash - TePe’s mouthwash moistens the mucosa and leaves a pleasant feeling in the mouth. Not only does it help with dry mouth, but the added 0.2 % fluoride also gives that extra protection against caries.

TePe® Hydrating Mouth Gel - TePe mouth gel gives immediate and long-lasting comfort*, moistens and soothes the oral mucosa and is convenient and easy to use whenever needed – great for on-the-go.

Available from dental wholesalers. Find out more at tepe.com.

Optimising safety with comprehensive decontamination protocols

A high-quality, systematic approach to decontamination promotes the highest standard of patient and professional safety

Patients must be treated in a safe and clean environment – this is a primary tenet of every dental practice. The importance of a meticulous decontamination workflow therefore cannot be overstated and is always worth revisiting, reviewing and optimising. By carefully following high-quality procedures, the dental team can ensure that all surfaces and equipment are cleaned and disinfected, and all reusable instruments are sterilised. In doing so, professionals minimise the risk of cross infection and help to maintain a safe environment for both patients and colleagues.

The effective decontamination of reusable instruments comprises of several stages including cleaning, disinfection, inspection, sterilisation and storage.

Fast out of the blocks

Before starting the decontamination process, it is crucial to ensure that the work area is clean and organised. Any clutter should be cleared, waste correctly disposed of and all necessary supplies arranged in an orderly manner. It is advisable that the process begins as soon as possible postprocedure to prevent contaminants on reusable instruments from coagulating, as this makes the items more difficult to clean.

Appropriate personal protective equipment should be worn, including gloves, masks, and protective eyewear, to minimise exposure to potentially infectious aerosols and materials. Reusable dental instruments should then be disassembled, where applicable, to allow for thorough cleaning and disinfection.

Clean machines

The next step in the decontamination workflow is cleaning, which involves removing visible debris or biofilms from the instruments. This can be achieved using a combination of manual scrubbing and ultrasonic cleaning. An enzymatic cleaner, specific to dental instruments, may be used during this process to help break down and remove organic matter.

However, the issue with manual cleaning is that it’s unvalidated – there’s no way to test whether the cleaning has been completed to an acceptable standard. That’s why best practice guidelines within the HTM 01-05 document recommend the use of a washer disinfector in England and Wales, which ensures automated and validated cleaning of instruments. In Scotland, SDCEP regulations mandate automated washer disinfectors in the dental practice, providing the necessary thermal disinfection of reusable instruments to ensure effective pre-sterilisation cleaning.

Washer disinfectors operate with a five-stage process: flush, wash, rinse, thermal disinfection and drying. No matter where you are located in the UK, all regulations require that the equipment is correctly installed, validated and maintained in accordance with the manufacturer’s instructions.

After cleaning and disinfection, instruments should be inspected using an illuminated magnifier to ensure they are visibly clean, functional and in good condition.

Sterile steps

Sterilisation is the next critical step in the decontamination workflow to ensure that all instruments are free of infectious microorganisms. Depending on the dental practice’s specific sterilisation methods, this may be achieved through moist heat (steam autoclave), chemical (ethylene oxide or hydrogen peroxide plasma), or a combination of both. However, autoclave sterilisation is considered the elected procedure.

An ’N’ type, non-vacuum autoclave is used to sterilise unwrapped, reusable solid instruments. These are placed on suitable autoclave trays prior to placement in the autoclave. However, the instruments lose their sterile status, from the moment that the chamber door is open and they are exposed to the air.

Another option commonly used in dentistry is the ‘B’ type vacuum autoclave, which can sterilise hollow instruments, implant kits, unwrapped solid instruments and wrapped/pouched instruments. For the latter, a post-sterilisation drying phase is required. Upon a successful cycle, these instruments can be removed from the autoclave and either used immediately, or securely stored in a suitable storage cupboard – for later use. Those in pouches can be safely stored for up to a year and should be organised in a way that prevents confusion between sterilised and sterile instruments.

Keeping the record straight

Documentation is an essential component of the decontamination workflow in a dental practice. Records should be maintained to track instrument

usage, cleaning and sterilisation cycles. These records serve as evidence of compliance and can be used for audits or CQC inspections. It is also important to regularly test the effectiveness of the decontamination equipment to ensure that it is functioning correctly.

Selecting a service provider that can assist in ensuring the maintenance of its decontamination equipment is a real advantage. Eschmann Care & Cover gives dental professionals peace of mind that their decontamination equipment is fully compliant with HTM 01-05 and SDCEP guidance, while providing full technical support through a nationwide team of 50+ specifically trained Eschmann engineers. Eschmann also offers a helpful decontamination guidance poster on its website that dental teams can download free of charge.

Implementing a comprehensive decontamination workflow in the dental practice is crucial for maintaining a safe environment for both patients and staff. By following the correct steps, dental teams can create a systematic approach to promoting the highest standard of care for their patients.

For more information on the highly effective and affordable range of decontamination equipment and products from Eschmann, please visit www. eschmann.co.uk or call 01903 n References available upon request.

ABOUT THE AUTHOR

Oxygen Therapy

The most e ective and body-friendly way of healing soft tissue and oral wounds.

We Are

Patient Case Study

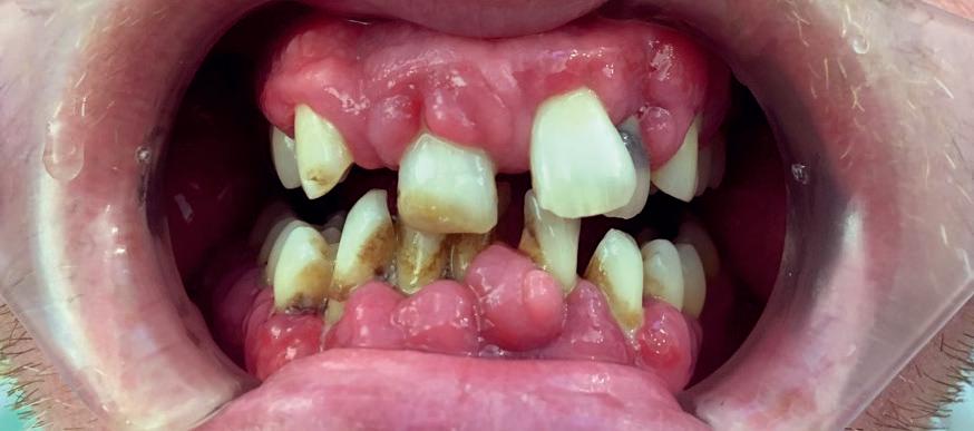
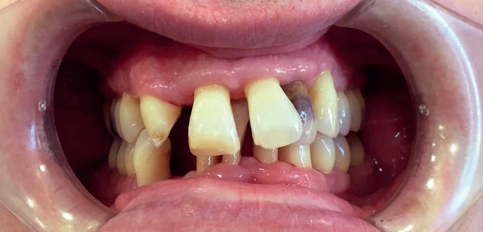
Patient presented with Stage 4 Grade B Generalised Periodontitis.

Treatment: RSD Q&Q. blue®m TOOTh protocol

Recall at 12 months.

Case study and photographs courtesy 0f Pat Popat BSc(Hons), PTLLS, RDH, RDT

Easily applied in surgery as a high strength gel, blue®m is also available to the patient as a toothpaste and mouthwash. blue®m is nontoxic and does not contain alcohol.

Innovation in Oral Health

Use natural oxygen to ght perio disease & reduce pocket depth. Widely validated, researched and documented.

• Unique formulation, high concentration of natural oxygen

• Prevention/treatment of periodontitis and peri-implantitis

• Deep elimination of bacteria

• E ective pocket reduction

• Optimal gum conditioner

• Powerful breath care

• Immune system enhancement

No time like the present

Effective time management is essential for dental professionals to thrive

Whether it’s a treatment over-running or a receptionist off sick, principals face numerous challenges on a daily basis. One of the most common battles is managing time effectively. With a busy schedule and multiple responsibilities, poor time management can lead to stress, decreased productivity and potential compromise on patient care. Therefore, it is essential for dental professionals to adopt effective time management strategies to optimise their practice and maintain a healthy work-life balance.

The first step towards effective time management is to prioritise tasks.ii When running your practice, divide your to-do list into urgent, important, and nonurgent tasks. Focus on completing the urgent and important tasks first, ensuring that crucial patient needs are met promptly. The Eisenhower matrix can help you divide your tasks into four categories: the tasks you’ll do first, the tasks you’ll schedule for later, the tasks you’ll delegate, and the tasks you’ll delete.iii

Scheduling patients efficiently is an obvious, yet crucial step, for effective time management. Implementing time blocks can help you allocate specific time slots for different procedures, ensuring optimal utilisation of your schedule. Train the team in streamlining your scheduling system by grouping similar procedures together, which can help to reduce the set-up time between patients.iv

Identify

bottlenecks

Evaluate your practice workflow to identify areas that can be optimised. Make time to analyse each step involved in patient visits, from checkin to treatment completion, to identify potential

bottlenecks. Consider implementing protocols that reduce wait times, such as pre-appointment paperwork or digital forms. Efficient workflow systems, such as electronically accessible patient records and centralised supply storage, can save valuable time and reduce disruptions during procedures. Practice management software can prove a useful tool on this front.v

Delegating tasks to qualified team members is a key time management skill.vi If you’re not doing so already, empower your dental hygienists/ therapists, dental nurses and administrative staff to handle specific responsibilities. Properly train and support them, allowing them to take on tasks that do not require your direct involvement. Refusing to delegate can have negative consequences. Not only will you overload your schedule, but your team will miss out on valuable learning and growth opportunities.v

Avoiding interruptions is crucial for maintaining focus and efficiency. Indeed, a University of California study found that after each interruption it takes over 23 minutes to refocus.vii While it may be challenging to completely eliminate interruptions, there are strategies to minimise them. Establish designated time slots for returning phone calls, responding to emails, and discussing non-emergency patient issues. Encourage your team to filter questions and concerns to designated times, allowing you uninterrupted concentration during patient appointments. Effective communication and clear boundaries can significantly minimise interruptions.vi

Take a break

While it may seem counterintuitive, taking regular breaks and maintaining self-care is crucial for effective time management.viii Fatigue and burnout can drastically affect your productivity and overall well-being. If possible, schedule short breaks between patient appointments to decompress and recharge. Often, struggles with effective use of time can begin because your body is not in a place where it is able to give its full concentration and resources to the task in hand.viii Prioritise self-care activities like exercise, healthy eating, and adequate sleep to ensure you are operating at your best both personally and professionally.

Similarly, investing time in continuous professional development is fundamental to staying updated with the latest advancements in dentistry which can – in the long term – help streamline procedures. Participating in relevant conferences, seminars, and workshops will enhance your skills, knowledge, and efficiency, thereby improving patient outcomes, and save valuable time in the long run.ix

To help busy dental professionals – who can spend around 14 hours a week generating clinical documentation – Kiroku, the AI digital note taking platform, has introduced Kiroku Docs that converts clinical notes into documents at the click of a button. Kiroku Docs can generate many different

types of documents, including consent forms, treatment planning letters and referral letters, from the clinical notes already taken. Each fully customisable document template pulls the relevant information from the notes guaranteeing no duplication of effort. Users have described the system as ‘a game changer’ and a real help in achieving a better work-life balance.

Effective time management is essential for dental professionals to thrive in their practice, deliver exceptional patient care, and maintain a healthy work-life balance. By prioritising tasks, streamlining scheduling, optimising workflow, and delegating responsibilities, dentists can enhance efficiency and productivity. Minimising interruptions, investing in professional development, and prioritising self-care are also vital components of effective time management. Implementing these strategies will not only benefit dentists individually but also positively impact the overall practice. Time well spent indeed!

To find out more about Kiroku, or to start your free trial, please visit trykiroku.com

References

i. Nazir MA, Izhar F, Tariq K, Anjum KM, Sohail ZB, Almas K. A cross-sectional study of dentists about the need for a practice management course in undergraduate dental program. Eur J Dent. 2018 Oct-Dec;12(4):508-515. doi: 10.4103/ejd.ejd_184_18. PMID: 30369795; PMCID: PMC6178673. [Accessed December 2023]

ii. Leadership Success https://www. leadershipsuccess.co/time-management/ planning-and-prioritising

iii. Asana.com https://asana.com/resources/ eisenhower-matrix

iv. Pocket Dentistry https://pocketdentistry.com/12appointment-scheduling-strategies/ v. Linkedin https://www.linkedin.com/pulse/ evolving-landscape-dental-practicemanagement

vi. Harvard Business School Online https://online. hbs.edu/blog/post/how-to-delegate-effectively vii. Mindtools.com https://www.mindtools.com/ a9eut8i/interruptions

viii. University of Warwick https://warwick.ac.uk/ services/wss/topics/timemanagement/ ix. WeAreDevelopers https://www.wearedevelopers. com/magazine/5-reasons-why-attendingconferences-matters-more-than-you-think n

ABOUT THE AUTHOR

Hannah is the CEO of Kiroku

Buy 2 get 1 free (while stocks last)

Directa’s ProphyCare, is one of the most well-known brands of prophylaxis paste worldwide, offering reliable results ranging from regular cleaning of the teeth to more complicated implant maintenance procedures.ProphyCare pastes are available in different grits from coarse to extra-fine and are colour coded for easy identification. All ProphyCare pastes have a mild minty taste and do not splatter, it stays in the polishing cup during the treatment.

Scan for Wrights Dental
Scan for Henry Schein

Your role in pharmaceutical dentistry

Medication impacts many parts of everyday life, and clinical care would not be the same without the extensive options presented to healthcare professionals and patients alike.

It has become something that many of us do not give a second thought to. We might reach for over-the-counter solutions the minute we feel a headache coming on or look for a quick fix to buy when a cough, cold, or fever surfaces.

Prescription drugs are also commonly talked about in the general and healthcare media. Sometimes this is for good, with new drugs being approved to enhance treatment outcomes for a greater number of vulnerable people.

Other times, stories are shrouded in negativity. Over the past year, Ozempic – the injected prescription drug that is used for type 2 diabetic patients – has stolen headlines following supply issues due to its alternative use as a weight loss aid. Current guidance is clear on the fact that Ozempic should only be prescribed for its designated diabetes treatment. In turn, some individuals have moved on to counterfeit injections, with often unfortunate effects.

Clinicians have an immense responsibility to ensure the public receives the appropriate pharmaceutical products for each relevant situation, and this is no different for dental professionals.

Power of prescription

Pharmaceutical care in the dental field places extreme trust in the clinician, but the capabilities of a professional will depend on the area of dentistry in which they practice.

Those operating through the NHS may only prescribe medicines in the Dental Practitioners’ Formulary on an NHS dental prescription form, or an FP10D, which details a wide range of options for a variety of clinical needs.

Some dental professionals – specifically dental hygienists and therapists – may also be able to manage patient group directions (PGDs). This is an allowance to sell, supply, and/or administer medicines to those who may not have been identified before they presented for treatment. This way professionals can provide some forms of care without the need for a prescription or instruction

from a prescriber. Generally, this will include fluoride supplements or toothpastes with a high fluoride content, or even local anaesthesia in some cases.

Private treatment differs concerning prescriptions. Any medicine may be prescribed and sold or supplied, but a practitioner must first ensure they are competent in the relevant area of care. Be aware that private patients should not be prescribed medicines on NHS prescriptions.

Each patient must be considered carefully when prescribing medicines for dental treatments. A variety of mistakes can be made, depending on the individual’s needs. These include an incorrect dose or strength, dosage form, a clash with a known allergen or contraindication, or even incorrect patient actions as a result of improper education or instruction. Clinicians must take extensive care to avoid preventable issues such as these and communicate with patients and other professionals to ensure the correct form of medication is given and administered reliably.

Safe disposal

Medicines must also be managed with care when they are sent to waste. Without diligent measures in place, pharmaceutical waste could harm the wider world around us.

Pharmaceuticals that end up in the environment pose a potential threat in the long-term. Whilst the evidence suggests that trace levels of pharmaceuticals in drinking water – which can be a result of improper disposal – are unlikely to pose a risk to general health, some say that there are gaps in our current knowledge about extended exposures and the combined effects of medicines and other compounds.

As well as this, medicinal products that fall under the broader classes of antibiotics, analgesics and antineoplastics have been found to harbour a potential environmental risk, with antibiotics, in particular, posing a threat to algae and plants. They can accumulate in soil, have a tendency to reach groundwater and, perhaps most troublingly, can contribute to microbial antibiotic resistance over time.

It’s for reasons such as these that the General Dental Council (GDC) demands dental practices make arrangements for the safe disposal of

medicines, as well as the handling of patient returns and expired medicines. This should be segregated from all other medicines in use.

Services you can trust

The GDC also states that practices should have a contract with a licensed clinical waste management company, which will collect unwanted medicines and appliances and ensure they are disposed of correctly. This would fulfill the need for comprehensive and considered pharmaceutical management.

Finding the right solution for your practice is essential. Initial Medical offers expert waste management services and can help to ensure that your dental practice is regulation-compliant and environmentally friendly.

UN-approved, blue pharmaceutical bins are made available for the clear segregation of pharmaceutical waste in your practice, which can be collected by the Initial Medical team for reliable management and disposal. Initial Medical is committed to environmentally friendly solutions and ensures pharmaceutical waste will pose minimal risk to general health and the world around us.

Pharmaceutical solutions are essential in today’s dental landscape. With knowledgeable clinicians safely prescribing medicines to patients, and being aware of the need for effective wasting procedures, many of the headaches surrounding the topic can be effectively eased.

To find out more, get in touch at 0808 304 7411 or visit the website today www.initialmedical.co.uk 

ABOUT THE AUTHOR

Aligners for simple aesthetics in comfort

A brand-new dental foam offers an easy, pleasant-tasting way to keep aligners, retainers and mouth-guards fresher, for cleaner and brighter teeth

Reports indicate that growing aesthetic sensibilities have led to an increase in demand for orthodontic treatment, with the global market for clear aligner therapy estimated to grow at around 30 percent by 2030. The UK demand for straighter – and whiter – teeth may soon outstrip the US market,ii with patients increasingly preferring clear aligner orthodontic treatment over fixed appliances, where appropriate, due to their superior aesthetics during active treatment.iii

Maintaining cleaner, healthier, whiter teeth during treatment

While aligners are considered more hygienic than fixed appliances by design,iv keeping them fresh can be a challenge. Even where patients do exercise the recommended care, aligners can impede the natural properties of saliva. Saliva has significant anti-microbial properties, and keeps the teeth cleaner throughout the day by flushing away debris, helping to avoid staining. Studies have found that without its flushing effect, bacteria and biofilm remains on the surfaces of aligners, risking demineralisation,v,vi which will cause unsightly and damaging tooth erosion.

Studies have shown that some patients may feel embarrassed to remove aligners during meals, especially those fitted with composite pontics, and disregard the harmful effects of eating food, or drinking certain beverages while wearing their aligners. Food accumulates in aligners quickly leading to dental build-up, and sugary drinks do particular damage to tooth enamel.vii, viii Many popular drinks contain dyes or tannins that will accumulate to leave unsightly stains on the teeth as well as the aligner.

the build-up of plaque, protecting, moisturising and restoring the enamel, all in a pleasant-tasting and convenient package. It combines a unique set of ingredients to enhance the natural benefits of saliva, keeping the mouth conditioned and fresh, strengthening teeth, and combatting harmful bacteria, while the aligner does its work.

The formula contains Curaprox’s enzymatic system, with amyloglucosidase and glucose oxidase, to stimulate the mouth’s natural saliva production, preventing plaque and breaking down sugars before they can demineralise and damage the enamel. The inclusion of hydroxyapatite additionally supports the healing of dentinal tubules, keeping teeth stronger and whiter.

Other powerful ingredients, including hyaluronic acid and levulinic acid, work together to condition, moisturise and protect the teeth from a number of bacteria, further reducing the risk of dental plaque building up, discolouring and damaging teeth.

Curaprox Aligner foam also harnesses the natural power of magnolol and Citrox® to fight the bacteria that cause plaque and tooth decay. Magnolol, found in the bark of the magnolia tree, is a bioactive compound with strong antibacterial effects against streptococcus mutans, which is heavily involved in biofilm formation and the development of dental caries.ix The addition of Citrox® – extracted from bitter oranges – with cyclodextrin and polylysine, combines antibacterial, antioxidant and anti-inflammatory properties to keep teeth fresh, clean and healthy.

Curaprox Aligner Foam cleans and protects teeth as part of an easy routine, while helping to maintain the aesthetic benefits of clear aligners. Conveniently pocket-sized, only a tiny amount of foam is required after brushing, to provide a cleansing and restorative film that fights plaque and naturally protects teeth. For more information, please visit www.curaprox. co.uk and www.curaden.co.uk

References i. Qureshi, T. Goals in alignment: the rise in popularity of clear aligners. The-Dentist.co.uk

Available at: https://www.the-dentist.co.uk/ content/news/goals-in-alignment-the-rise-inpopularity-of-clear-aligners/ 26 August 2023. Accessed January 2024.

ii. UK survey says 43% of respondents want whitening, veneers or straighter teeth. Dentistry.co.uk Available at: https:// dentistry.co.uk/2019/01/04/uk-survey-says43-respondents-want-whitening-veneersstraighter-teeth/#:~:text=Upcoming%20 webinars-,UK%20survey%20says%2043%25%20 of%20respondents,whitening%2C%20 veneers%20or%20straighter%20 teeth&text=The%20US%20used%20 to%20be,the%20doctor%20booking%20 website%2C%20RealSelf. 04 January 2019. Accessed January 2024.

iii. Boyd RL. Periodontal and restorative considerations with clear aligner treatment to establish a more favorable restorative environment. Compend Contin Educ Dent. 2009 Jun;30(5):280-2, 284, 286-8 passim. PMID: 19514262.

iv. Moshiri, Mazyar, et al. “Consequences of poor oral hygiene during clear aligner therapy.” JCO 8.47 (2013): 494-98.

v. Dowd FJ. Saliva and dental caries. Dent Clin North Am. 1999 Oct;43(4):579-97. PMID: 10553245.

vi. Türköz, C.; Canigür Bavbek, N.; Kale Varlik, S.; and Akça, G.: Influence of thermoplastic retainers on Streptococcus mutans and Lactobacillus adhesion, Am. J. Orthod. 141:598602, 2012

vii. Moshiri, Mazyar, et al. “Consequences of poor oral hygiene during clear aligner therapy.” JCO 8.47 (2013): 494-98.

viii. Türköz, C.; Canigür Bavbek, N.; Kale Varlik, S.; and Akça, G.: Influence of thermoplastic retainers on Streptococcus mutans and Lactobacillus adhesion, Am. J. Orthod. 141:598602, 2012

ix. Matsumoto-Nakano M. Role of Streptococcus mutans surface proteins for biofilm formation. Jpn Dent Sci Rev. 2018 Feb;54(1):22-29. doi: 10.1016/j.jdsr.2017.08.002. Epub 2017 Sep 29. PMID: 29628998; PMCID: PMC5884221. n

Curaprox Aligner Foam, created by Swiss oral health brand, Curaden, is a highly effective new product to help patients manage their oral care while undergoing alignment. It helps to prevent

Optimising oral hygiene for orthodontics

Malocclusion can have a significant impact on a patient’s quality of life. Oral function may be seriously impaired, causing issues with mastication, swallowing and speech. It can also make oral hygiene more difficult, increasing the risk of gingivitis and caries. In addition, there are implications for a person’s social status and psychological wellbeing when their malocclusion is bad enough to influence interactions with others and dampen self-confidence.i In many situations, orthodontics provides a solution by aligning the teeth, enhancing function, hygiene and aesthetics.

perceptions and how effective their dental hygiene actually is. For instance, one survey vii found that almost 80% of orthodontic patients believed their oral hygiene to be good, even though 51% reported bleeding gums. As such, continued and intensive education is essential throughout orthodontic treatment,viii teaching patients how to reduce bacterial counts while navigating orthodontic brackets or other considerations.

It has also been found that reinforcing oral hygiene by communicating key messages post-treatment is advantageous in enhancing patient compliance.ix Reminding patients either by text or phone call has

Despite the many advantages of orthodontic therapy, it is widely acknowledged that oral hygiene tends to suffer during treatment. Studiesii have demonstrated that both the number of decayed, missing and filled permanent teeth, and plaque index scores increase during orthodontic therapy among adolescents. Researchiii has confirmed that the oral microbiota changes when any orthodontic appliance is fitted, resulting in a significantly increased bacterial count. These alterations can be detected one month after treatment commences. There is also evidence that the type of appliance impacts the risk of oral health concerns.

A recent systematic review and meta-analysisiv compared levels of oral hygiene between patients with fixed and removable appliances. Though it found only relatively low-quality evidence, it did suggest that fixed solutions lead to higher plaque scores, as well as higher incidence of S.mutans and lactobacilli bacteria in the first 6-12 months after treatment begins.

Why is this important for the general dental practitioner to be aware of and confident in supporting patients through? Because demand for adult orthodontics is on the up. Approximately 76% of UK orthodontists reported a rise in demand for treatment among adults in the three years preceding August 2023.v A large proportion of this increase has been attributed to more time spent on video calls, in addition to the greater sway of influencers and celebrities. With no sign that this will change again any time soon, we can safely assume a continued need for orthodontic solutions.

The importance of oral hygiene during treatment must be highlighted to patients in order to optimise outcomes. For example, orthodontic treatment in periodontally-compromised patients can lead to axillary anterior teeth proclination, absence or loss of interdental spacing, tooth rotation, super-eruption, pathological tooth migration and tooth loss.vi

While many people understand the importance of oral health, there is still a disconnect between their

been shown to significantly improve motivation and lead to lower plaque index scores in patients after tooth alignment is achieved. Other research has highlighted the positive role that dietary advice can have on post-treatment oral health as well.x

Of course, all of this requires excellent communication from practitioner to patient, delivering information on the potential risks faced during orthodontic therapy in a way that they really understand and can relate to. This is the cornerstone of effective patient education in relation to any type of dental treatment, including orthodontics.

Importantly, this communication and education should continue beyond treatment completion. Finding innovative yet efficient and convenient ways to remind patients about their commitment to oral hygiene even once alignment is achieved, is crucial.

Use of cutting-edge technologies can help substantially, facilitating communication as frequently as necessary with just the click of a button. Sharing useful information in a digital format also enables patients to review the oral hygiene advice and recommendations at a time that best suits them, retaining access for as long as they need it. This is just one of the functionalities that Chairsyde provides. A state-of-the-art patient consultation platform, Chairsyde features a stunning library of animations that clearly explains a vast range of dental conditions and related treatment procedures – including different orthodontic solutions – along with all their benefits and risks. Once shown to patients during an appointment, these animations are automatically recorded in patient notes and can be easily emailed to patients for review at home. Chairsyde is also fully integrated with Dentally and Software of Excellence practice management software for convenience. This technology could be the game-changer you need to help your patients optimise their oral hygiene during and after orthodontic treatment! However you support your patient education and communication, ensuring they have the right information and are motivated to follow it, is

crucial for the best possible results. Orthodontic appliances may increase the risk of oral bacteria, but effective dental hygiene will ensure treatment outcomes are never jeopardised. For more information, or to book a Chairsyde demo, please visit www.chairsyde.com or call 020 3951 8360.

References

i. Elyaskhil, M., Shafai, N.A.A. & Mokhtar, N. Effect of malocclusion severity on oral health related quality of life in Malay adolescents. Health Qual Life Outcomes 19, 71 (2021). https://doi.org/10.1186/ s12955-021-01710-2

ii. Cantekin K, Celikoglu M, Karadas M, Yildirim H, Erdem A. Effects of orthodontic treatment with fixed appliances on oral health status: A comprehensive study. Journal of Dental Sciences. 2011: 6 (4): 235-238. ISSN 1991-7902. https://doi.org/10.1016/j.jds.2011.09.010.

iii. Lucchese A, Bondemark L, Marcolina M, Manuelli M. Changes in oral microbiota due to orthodontic appliances: a systematic review. J Oral Microbiol. 2018 Jul 3;10(1):1476645. doi: 10.1080/20002297.2018.1476645. PMID: 29988826; PMCID: PMC6032020.

iv. Oikonomou E, Foros P, Tagkli A, Rahiotis C, Eliades T, Koletsi D. Impact of Aligners and Fixed Appliances on Oral Health during Orthodontic Treatment: A Systematic Review and Meta-Analysis. Oral Health Prev Dent. 2021 Jan 7;19(1):659-672. doi: 10.3290/j. ohpd.b2403661. PMID: 34874143.

v. British Orthodontic Society. New stats from The British Orthodontic Society reveal online working triggers a rise in adults seeking tooth straightening treatment. August 2023. https://bos.org.uk/ news/new-stats-from-the-british-orthodonticsociety-reveal-online-working-triggers-a-rise-inadults-seeking-tooth-straightening-treatment/ [Accessed January 2024]

vi. Alsulaimani L, Alqarni H, Akel M, Khalifa F. The Orthodontics-Periodontics Challenges in Integrated Treatment: A Comprehensive Review. Cureus. 2023 May 14;15(5):e38994. doi: 10.7759/cureus.38994. PMID: 37323308; PMCID: PMC10262598.

vii. Guo J, Li L, Guan G, Bennani F, Mei L. Oral health knowledge and practice among orthodontic clients in China and New Zealand. Can J Dent Hyg. 2020 Oct 1;54(3):124-132. PMID: 33240372; PMCID: PMC7668273.

viii. Yadav J, Shinh AS, Natt AS, Maheshwari K, Aulakh S. Oral hygiene status: The critical parameter in orthodontic patient. J Clin Adv Dent. 2023; 7: 007-012.

ix. Cozzani M, Ragazzini G, Delucchi A, Mutinelli S, Barreca C, Rinchuse DJ, Servetto R, Piras V. Oral hygiene compliance in orthodontic patients: a randomized controlled study on the effects of a post-treatment communication. Prog Orthod. 2016 Dec;17(1):41. doi: 10.1186/s40510-016-0154-9. Epub 2016 Dec 19. PMID: 27891568; PMCID: PMC5165014.

x. Aljohani SR, Alsaggaf DH. Adherence to Dietary Advice and Oral Hygiene Practices Among Orthodontic Patients. Patient Prefer Adherence. 2020 Oct 20;14:1991-2000. doi: 10.2147/PPA. S277034. PMID: 33116442; PMCID: PMC7586054. n

ABOUT THE AUTHOR

LOVEN GANESWARAN

Loven Ganeswaran – CEO and founder Chairsyde.

Centrix Innovations

Many dental manufacturers claim their products make Dentists’ lives easier, but not every manufacturer makes it their mission. That’s unless it’s Centrix, the 50-years old dental innovator which launched the first direct-to-prep delivery system back in 1970.

Centrix continues to produce single-patient-use products designed to make dentistry easier. This includes the ubiquitous Benda Brush and Benda Micro brush; Tempit temporary filling materials; FluoroDose sodium fluoride varnish, which is available in five patient-pleasing flavours and can be applied in less than a minute via its innovative LolliTray dispenser; NoMix moisture-activated temporary cement, which is designed for use in the surgery and at home in emergencies; Exposé disposable caries indicators which eliminate the need for measuring and mixing, and the risk of spillages; and many others.

FluoroDose

Think there’s nothing new in the world of fluoride varnish? Think again.

To make your life easier, Centrix has redesigned its FluoroDose packaging with new patented features to enhance its handling, comfort and patient safety. In addition to a single dose of varnish, each LolliTray contains a Benda Brush applicator and has been designed so that the Benda Brush can be “popped up” with one hand, making removal simple and safe.

Quick-drying and long-lasting, FluoroDose is suitable for adults with caries risk factors as well as children. It can be applied as often as needed – every three months for high-risk patients or every six months for medium risk ones – and it’s FDAapproved for treating dentinal sensitivity. With its new LolliTray delivery system award winning FluoroDose, the Dental Advisor’s Top Award Fluoride Varnish six years running, just got better!

Centrix’s FluoroDose is the award winning 5% sodium fluoride varnish that’s easy to apply in less than a minute. It has a smooth consistency, fast application and choice of five patientpleasing flavours – caramel, bubble gum, mint, cherry and melon. It is supplied in an Introductory Pack containing all five flavours and refills of individual flavours.

Because the varnish is freshly mixed prior to application it is always in the optimum fluoride distribution, unlike syringes which frequently separate out leaving inconsistent mixes of ineffectively low and dangerously high fluoride concentrations. Each LolliTray contains enough varnish to protect a full adult dentition. Non-gritty and easy to apply in an undetectable very thin film, it is not coloured so that it does not affect the appearance after bleaching etc.

Exposé

With today’s emphasis on minimally invasive dentistry, Clinicians want to ensure that their direct restorations remove as little healthy tooth tissue as possible. One thing that can help ensure this is a caries detection dye.

Exposé caries indicators make the use and application of a caries detection dye simple, mess-free and precise. Its well-known Benda Micro brush applicator, available in either fine or extra-fine, is prefilled with a dry blue dye, which is simply touched onto a wet tooth to activate. The dye, which acts by staining caries by-products, stains active caries lesions thereby enabling the Clinician to identify precisely the tooth material to be removed. Plus, because it does not become liquid until it has touched the wet tooth there are no drips to stain clothing or soft tissue.

Benda Brush and Benda Micro brushes

While a brush is a seemingly simple tool, it’s important to have the right one for the job. When applying a precise amount of material to a broad surface, the one-piece Benda Brush with its bendable brush head is ideal. The Benda Brush smoothly places and spreads fissure sealants, bonding and etching agents, whitening agents and other materials. Benda Micro brushes are perfect for applying smaller amounts of materials or when precise placement is required, such as with selective etching or single point placement.

Both brush heads can be angled with ease and remain in position without bouncing back. Their chemical-resistant, non-absorbent fibres are suitable for harsh substances. Disposable for easy clean-up, Benda Brush and Benda Micro brushes are available in two sizes and assorted colours, so they can be colour-coded to avoid cross-contamination.

All of these exciting innovations are now available from Trycare, the UK’s fastest growing dental dealer, who have been appointed sole UK Distributors for the complete range of Centrix problem-solvers. This expands further the comprehensive range of products available from Trycare, which includes everything you need from all the major manufacturers. Yet another reason to contact Trycare and “Discover the magic” for yourself!

For further information about the complete Centrix range contact your local Trycare representative, call 01274 885544 or visit www.trycare.co.uk/centrix. n

The modern dietary and dental challenge What are

Day in, day out, the practice is guaranteed to see people who indulge heavily in fizzy drinks. They have become a regular part of the everyday lunchtime meal deal, a common choice when eating at restaurants, and are increasingly loved by teenagers especially. In the UK, around 12% of young people consumed one carbonated sugary beverage every day in 2022, a rise from 2018. Despite the efforts of oral health professionals and healthcare policies, we continue to see a concerning prevalence of fizzy beverages in the average diet. Most recently, energy drinks have entered the fray and gained popularity, creating another dietary problem for clinicians to tackle.

Big actions with big results

The detrimental effects of many fizzy drinks haven’t gone unnoticed over the years, at a public and governmental level.

In the UK, the ‘Sugar Tax’ introduced in 2018 was aimed at tackling childhood obesity. However, it may have also brought further attention to the effect of sugary soft drinks on the enamel to the wider public. The World Health Organization called for a first-ever global tax on sugar-sweetened beverages in 2022, citing the successful implementation in the UK as an example. Dental cavities were a key factor behind the recommendation, alongside other general health issues such as type 2 diabetes, obesity and heart disease.

More than 5,500 childhood hospital admissions due to tooth extraction may have been averted every year since the levy was introduced in the UK. However, there are still unfavourable signs that damaging habits are not yet removed from the public psyche.

Trouble for the sweet tooth

Generally high in caffeine and sugar, energy drinks have become a staple in the shopping carts of many people in the UK. Despite the sugar levy, this market has only continued to grow.

Sales have ballooned over the past decade to reach around 680 million UK units per year, and the European Food Safety Authority identified young people aged 10-17 years as the greatest energy drink consumers – with British adolescents outranking all other participating European countries. These are of great concern partly because of their acidic properties. Exposing teeth to such a substance creates the opportunity for changes in the structural integrity and physical properties of the dentition, incurring tissue loss over time. One in vitro study found well-known energy drinks were more powerful in this regard than a standard soft drink, such as a cola.

Citric, Lactic and Malic acids are commonly found in energy drinks, dependent on the specific product. They are useful as flavourings and preservatives. However, they have been found to consistently decrease enamel hardness and cause demineralisation of the teeth.

High levels of caffeine are also concerning, with the ability to reduce salivary flow rate and decrease saliva production, leading to dry mouth symptoms. This could mean patients feel more dehydrated, or uncomfortable when swallowing. If salivary flow drops too far, tooth decay may increase, which may be exacerbated by the acidity of ensuing energy drinks.

An ongoing battle

Clinicians should take note that the rise in popularity amongst adolescents also occurs at a time where oral health tends to worsen. This is due to more susceptible tooth surfaces, greater independence and low prioritisation of oral hygiene. The two aspects of teenage life could dovetail to detrimental effect.

The fundamental response may simply be to reiterate the need for an effective oral hygiene routine and remind patients of the risks high-caffeine and high-sugar energy drinks present, in a similar manner to excessive fizzy drink consumption. Brushing twice a day and using interdental brushes could go some way to mitigating the effects of energy drinks, but patients should be advised to wait around 30 minutes to an hour after consuming such a beverage to avoid further agitating recently acid-attacked teeth. It could also be useful to immediately rinse the mouth with water to flush out any remaining sugars and acids that are left over.

It's important to choose the right products for an effective oral hygiene routine. Not all mouthwashes and toothpastes will achieve the same results. Patients may find immense benefits from the 100% Natural Baking Soda Toothpastes from Arm & Hammer™. These solutions effectively balance the oral pH to neutral levels, thanks to baking soda being naturally alkaline, whilst also helping to remineralise and strengthen enamel. The Arm & Hammer™ 100% Natural Baking Soda range features two options that are catered towards effective gum protection and whitening benefits, so your patients can choose the solution to suit their specific needs.

The energy drink boom is not yet looking like it will slow down, despite interventions such as the 2018 ‘Sugar Tax’. Dental professionals are best suited to helping the teenagers of today – and all other energy drink consumers – by reinforcing messages of consistent and effective hygiene controls to maintain a brilliant, bright smile.

For more information about the carefully formulated Arm & Hammer™ toothpaste range, please visit https://www.armandhammer.co.uk/ or email: ukenquiries@churchdwight.com Arm & Hammer™ oral healthcare products can now be purchased from Boots, Amazon, Superdrug, ASDA, Sainsbury’s, Tesco, Morrison’s, Waitrose & Partners and Ocado. n

References available upon request.

ABOUT THE AUTHOR

Helen Astill is qualified as a dental hygienist and holds a BSc (Hons) in applied science/nutritional therapy. She currently works at two dental practices in Dorset along with working part time as a registered vaccinator and a professional educator for Waterpik.

the health benefits of sleep?

Sleep is crucial for maintaining both physical and mental wellbeing. Whilst many patients might understand that sleeping well and for long enough will help to reduce tiredness and improve concentration during the day, they may not realise the long-term implications that poor quality sleep can have on the body. As such, it’s important for health professionals to understand what makes a good night’s sleep, what factors might have a negative impact, and the long-term consequences on mental and physical wellbeing.

Importance of sleep for overall health

Sleep quality and duration can play more of a role in overall health than many realise. This is concerning as almost one in five people in the UK admit to not getting enough sleep. Ideally, people should experience all four stages of nonREM and REM sleep each night. During non-REM sleep, blood pressure and heart rate fall as the parasympathetic system controls the body. During REM sleep and when waking up, on the other hand, the sympathetic system is activated leading to increased heart rate and blood pressure. Those who wake up frequently during the night, therefore, may experience spikes in heart rate and blood pressure and be at a higher risk of heart disease, high blood pressure, obesity, and stroke.

Sleep pattern can also have an influence on hormones, as different hormones are produced at different times during the day. Hormones which promote alertness, like cortisol, are produced in the morning as it helps with waking up. Other hormones, like testosterone, oestrogen, and progesterone, are made in pulses at night – with levels varying throughout a lifetime.

Sleep patterns can also have an effect on the way the body processes fat. For example, the circadian clock ensures that the liver is able to assist in the digestion of fat at the appropriate times. Research suggests that lack of sleep can influence the levels of hormones that control hunger, decrease ability to respond to insulin, lead to decreased physical activity, and have an effect on metabolism. As a result, poor sleep might mean that patients gain weight.

Further to this, the immune system might be compromised due to lack of sleep. This is because, during sleep, immune response is stronger. This might mean that those who don’t sleep enough are more prone to colds and infections. Sleep can also help with learning and forming memories, as such, poor sleep can make it more difficult to focus and think clearly.

Causes of poor sleep

There are a number of reasons why patients might be experiencing poor sleep. Often problems are caused by environmental issues, like noise at night-time or lights from screens, or life events that are causing stress or worry. Thinking can also have an impact, and those with anxiety often

struggle to relax and fall asleep. Commonly, lifestyle factors can influence sleep quantity and quality too; with problems caused by irregular sleep routines, eating late, drinking alcohol or caffeine, exercising at night, or using smartphones and working shortly before bed.

Additionally, breathing can have an impact on sleep quality. During sleep, breathing is less frequent and shallower. This means that less oxygen is taken in during the night. Whilst normal, this change can be problematic for those who have existing health problems including asthma or chronic obstructive pulmonary disease (COPD), as it may make it more difficult to breathe.

The impact of OSA

Similarly, patients who have obstructive sleep apnoea (OSA) will experience interrupted sleep caused by disrupted breathing. In patients with OSA, the walls of the throat relax during sleep, causing the airway to become narrow. Not only does this lead to interrupted sleep, potentially causing the issues mentioned above, poorly controlled OSA may also increase the risk of hypertension, stroke, heart attack, irregular heartbeat, and type 2 diabetes (thought to be linked to obesity).iv

OSA patients are routinely prescribed CPAP treatment. However, CPAP machines are often uncomfortable and irritating, and may not be effective for patients who breathe through their mouth or have a blocked nose. Because of this, patients who use a CPAP machine may still experience poor sleep.

OADS offers an alternative. O2Vent™ is customised to fit each patient, helping to deliver a comfortable and discreet alternative. If there’s a blockage, the device draws in air through the device, allowing it to reach the back of the throat. Plus, the device stabilises the lower jaw, brings the tongue forward, and opens the airway, offering an effective treatment for OSA.

Good quality sleep is crucial for maintaining overall health. Whilst there are a number of potential reasons that a patient might be experiencing poor sleep

quality, it’s important to offer them treatments which are appropriate for them, and effectively improve their situation. For patients who have existing medical conditions which effect their sleep, such as OSA, it is important to consider all of the potential treatment options to decide what is the best solution for them.

For more information, please visit: https:// openairway.com/ n

References available upon request.

ABOUT THE AUTHOR

Triple

Justin Smith, Commercial Director, Open Airway Dental Solutions UK Ltd
JUSTIN SMITH

Sporting a healthier smile

Later this year, the Summer Olympic Games will be held in Paris, bringing together the finest athletes from across the world to compete as we watch on in awe.

Physical health is key for these professionals, as well as the everyday athletes in the world around us – the Saturday morning park runners, the weekendaway cyclists, and the 5-a-side footballers of the world. Dentists have the responsibility of looking after the oral health of those that are physically active in our communities, especially when they could be at a greater risk of oral health issues.

A range of problems

Whilst the athletes of the world may be the most in tune with their bodies, they could be at a greater risk of oral health issues. The literature describes the incidence of caries among professional athletes sitting between 15% and 70%, dental trauma between 14% and 70%, dental erosion at 36%, and periodontal disease up to 15%. Athletes in two sports were described as at a higher risk of oral health issues; football and swimming.i

A study of F.C. Barcelona players found they had more than double the presence of active caries compared to dental students studying at the local university, as well as a decayed, missing, and filled permanent teeth (DMF) index of 5.9.ii Further research has observed that around 37% of football players lived with active caries.iii

Interestingly, athletes in more competitive sports have been observed to have significantly more decayed teeth, as well as increased probing depths, when compared to those that take part recreationally iv – even when they have similar oral hygiene behaviours.iv Whilst clinicians may treat elite athletes on a regular basis, understanding the effects of consistent exercise could help dental professionals support those that are more active in everyday life.

Running themes

The link between sporting activity and oral health features a number of nuances that will affect each of your patients differently. This could be based on the exercise they partake in, how they sustain themselves in each sport, as well as their own oral hygiene routines.

If a patient presents with an increased accumulation of dental plaque, they may be putting their gingival health at risk during exercise. It can reduce the immune response dependent on the activity performed, its duration and intensity, making patients more susceptible to infections, including periodontal disease.iii Removing this plaque with a regular oral hygiene routine is essential to prevent the development of an infection.

Advantage to the acids

One noticeable oral health change during exercise is the increased rate of salivary flow, which is reflected in the literature.v Saliva helps to protect the oral and peri-oral tissues with an antimicrobial and cleansing impact, whilst neutralising acid production and controlling the plaque pH. Yet the increased flow during sporting activities may not provide such benefits.

Physical activity produces lactic acid, which lowers the blood pH. Salivary secretion relies upon nutrients from the blood, and a change in salivary pH will depend on the blood levels of CO 2 vii With an increase during exercise, CO 2 is transferred to the saliva at a high rate, thus decreasing the salivary pH.i In acidic conditions, bacteria can cause severe damage, putting individuals at risk of enamel demineralisation.viii

Personal dental trainer

It makes sense that these biological processes could make up some of the oral health disparity between athletes and less active individuals, which could be compounded as the intensity of competition increases with elite level sports. Plus, fluids such as sports drinks are commonly used to rehydrate during exercise, but they too are often high in sugar and acidic in nature, in turn decreasing the salivary pH.vii

Active individuals, from professional athletes to the everyday gym-goer, must look after their oral health with an effective dental hygiene routine. By removing any present plaque and bacteria that rests in the oral cavity, they can minimise the negative impacts exercise has on their health.

Dental professionals should reinforce the need for toothbrushing twice daily to remove leftover plaque and food, as well as interdental cleaning. Using both together improves periodontal health and maintains caries-free surfaces in the long-run.ix

Suggesting effective products to your active patients helps them remain healthier over time, whilst they continue participating in the sports they love. This could include the Waterpik® Cordless Slide Water Flosser, a compact solution that collapses to 50% of its size for convenient storage at home or when travelling for sporting events. It effectively helps patients manage their oral health, as the Cordless Slide is 50% more effective for improving gum health compared to string floss,x whilst reducing up to 99.99% of plaque from treated areas.xi

Patients should be encouraged to keep up with regular exercise due to its myriad benefits for general health. However, dentists are uniquely situated in a role where they can provide them further protection against the lesser-known risks that come with being active, all by reinforcing the need for a brilliant oral hygiene routine.

For more information on Waterpik® Water Flosser products visit www.waterpik.co.uk. Waterpik® products are available from Amazon, Costco UK, Argos, Boots, Superdrug and Tesco online and in stores across the UK and Ireland.

References

i. Tripodi, D., Cosi, A., Fulco, D., & D’Ercole, S. (2021). The impact of sport training on oral health in athletes. Dentistry journal, 9(5), 51.

ii. Gay Escoda, C., Pereira, D. M. V. D., Ardèvol, J.,

Pruna, R., Fernandez, J., & Valmaseda Castellón, E. (2011). Study of the effect of oral health on physical condition of professional soccer players of the Football Club Barcelona. Medicina Oral, Patología Oral y Cirugia Bucal, 2011, vol. 16, num. 3, p. 436-439.

iii. de la Parte, A., Monticelli, F., Toro-Román, V., & Pradas, F. (2021). Differences in oral health status in elite athletes according to sport modalities. Sustainability, 13(13), 7282.

iv. Merle, C. L., Richter, L., Challakh, N., Haak, R., Schmalz, G., Needleman, I., ... & Wüstenfeld, J. (2022). Orofacial conditions and oral health behavior of young athletes: A comparison of amateur and competitive sports. Scandinavian Journal of Medicine & Science in Sports, 32(5), 903-912.

v. Ntovas, P., Loumprinis, N., Maniatakos, P., Margaritidi, L., & Rahiotis, C. (2022). The effects of physical exercise on saliva composition: a comprehensive review. Dentistry journal, 10(1), 7. vi. Dodds, M., Roland, S., Edgar, M., & Thornhill, M. (2015). Saliva A review of its role in maintaining oral health and preventing dental disease. Bdj Team, 2, 15123.

vii. Tanabe, M., Takahashi, T., Shimoyama, K., Toyoshima, Y., & Ueno, T. (2013). Effects of rehydration and food consumption on salivary flow, pH and buffering capacity in young adult volunteers during ergometer exercise. Journal of the International Society of Sports Nutrition, 10(1), 49.

viii. Frothingham, S., Keith Fisher, J., (2018). What Is the pH of Saliva? Healthline. (Online) Available at: https://www.healthline.com/health/ph-of-saliva [Accessed December 2023]

ix. Pitchika, V., Jordan, R., Micheelis, W., Welk, A., Kocher, T., & Holtfreter, B. (2021). Impact of powered toothbrush use and interdental cleaning on oral health. Journal of Dental Research, 100(5), 487-495.

x. Rosema NAM et al. The effect of different interdental cleaning devices on gingival bleeding. J Int Acad Periodontol 2011; 13(1):2-10.

xi. Gorur A, Lyle DM, Schaudinn C, Costerton JW. Compend Contin Ed Dent 2009; 30 (Suppl 1):1 - 6. n

ABOUT THE AUTHOR

ANNE SYMONS

Anne Symons is a Dental Hygienist currently working in a Specialist Periodontal/implant practice and also a busy NHS surgery. She has previously worked in a Max Fax unit, and also taught Oral Health care to staff in Nursing and Residential homes. Anne is also a Professional Educator for Waterpik.

Love the Oralieve range… I literally had a patient this morning and Oralieve has changed her life… the samples have been an absolute blessing

• Ultra mild mint flavours • SLS free

• Supplements patients’ natural saliva

Fluoride protection • Offers comfort and protection for oral tissues Effective relief of dry mouth symptoms – day and night Oral hygiene for sensitive and dry mouths • A unique combination of bioactive ingredients and enzymes

and

Your patients’ unique tongue prints

Recent research from The University of Edinburghi has studied the unique surface of the tongue. It used artificial intelligence (AI) to gain an improved understanding of the papillae. The key outcomes of this study focused on personalised nutrition, recognising the anatomical reasons why people enjoy eating chocolate,ii for example, and aiming to help professionals find and promote healthy alternatives to different patients. However, another benefit of recognising peoples unique tongue prints was brought to light – monitoring for abnormal growths.iii This technology combined with AI is still in development, however, this key take away is valuable for many clinicians. The ability for professionals and patients to recognise unique tongue anatomy will help them to notice anything out of the ordinary, like changes in colour and texture or pain, early on. Additionally, by adopting tools which are readily available on the market to assist in pre-diagnostic testing, clinicians can offer advice and referrals with confidence.

Becoming familiar with unique anatomy

Tongue prints are completely unique to each person – even identical twins have different tongue anatomy to one another – with some studies suggesting that this could make the tongue a useful tool in forensic investigations.iv Advising patients to become familiar with the features of their own tongue is essential for helping them to monitor their own oral health, and notice any changes early. Signs of illness and deficiency may present in the tongue in a number of different ways. These include changes in colour, texture, and pain. Typically, a healthy tongue is pink, with some variation for different people. If the tongue changes from the colour patients are used to seeing, adopting a white, red, or yellow hue, this may be cause for concern. White patches might indicate oral thrush, oral lichen planus, or leukoplakia. The latter occurs due to cell overgrowth in the mouth, with some cases benign and others potentially leading to cancer.v

A red or purple hue might indicate geographic tongue, vitamin B (9 or 12) deficiency, Kawasaki disease, or scarlet fever. A yellow tongue usually indicates bacterial overgrowth, but can also be caused by tobacco use, psoriasis, and jaundice. Some of these conditions can be resolved by a change in oral hygiene or diet, whereas others should be treated quickly to prevent severe consequences. As such, it’s important that patients discuss any abnormalities with a professional to ensure they receive the care they need.vi

Patients and clinicians should also make note of any soreness or bumps in the mouth and on the tongue. This is of particular concern if it is causing the patient pain, and could happen as a result of tobacco use, mouth ulcers, tongue biting, or burns. If soreness and bumps do not clear up after twothree weeks, they could be a sign of oral cancer, and clinicians should run further tests or refer the patient for diagnosis and treatment.vii

Check for anything abnormal

Ensure your patients understand the importance of seeking care if they notice anything unusual with their tongue, even if they assume it’s harmless. Receiving a proper diagnosis is vital, as anything unusual may be a sign of something more serious. Discolouration and changes in texture are some of the potential indicators of oral cancer. Patients should report anything abnormal and get it checked, including a mouth ulcer which lasts longer than three weeks. These could be the early signs of oral cancer and, if caught early, might mean improved survival rates – particularly if treatment begins in its early stages.

Oral cancer is common, with around 8,500 new cases diagnosed in the UK per year.viii Currently, tissue biopsy is the gold standard for cancer diagnosis, however, the invasive nature of the procedure means that it can be painful and uncomfortable. Many traditional non-invasive methods are not sufficiently sensitive,ix and are therefore potentially unreliable. As such, the use of a new non-invasive pre-diagnostic test, which

provides information about oral cancer biomarkers is incredibly helpful for informing the need for further testing and biopsy.

The BeVigilant™ OraFusion™ system from Vigilant Biosciences® is a quick and easy pre-diagnostic test which is designed to be used at point of care, using saliva. If a dentist spots a lesion which they think is suspicious, the BeVigilant™ Orafusion™ system can be used to identify the presence of biomarkers associated with oral cancer, producing a result in 15 minutes or less. This is ideal for clinicians who would like to feel more confident when referring patients, and assessing for oral cancer.

In order to more effectively monitor patients’ health, it’s important to be familiar with the different signs of illness. When clinicians and their patients regularly monitor their anatomy, checking for any abnormalities, they are more able to pick up on illnesses early, and improve survival rates for conditions like oral cancer.

For more information, please visit www.vigilantbiosciences.com or email info@vigilantbiosciences.com n References available upon request.

ABOUT THE AUTHOR

After a long career in medical devices, Phil Silver created Total TMJ, which distributes innovative technologies from leading healthcare manufacturers to dentists and clinicians around the UK

Mum’s the word

With the right advice and by taking proactive steps, pregnant women can maintain good oral health

Scientists have recently discovered why many women experience morning sickness during pregnancy, i raising the prospects of a cure for the condition. The cause is down to a hormone produced by the foetus, a protein known as GDF15. How sick the mother feels depends on a combination of how much of the hormone is produced by the foetus and how much exposure the mother had to this hormone before becoming pregnant. Exposing women to GDF15 ahead of pregnancy may prove a way to prevent morning sickness in the future, researchers believe.

The frequent vomiting and acid reflux associated with morning sickness is a debilitating condition. It can also have a detrimental effect on tooth enamel. ii Indeed, while pregnancy can be an amazing and transformative time in a woman’s life, many pregnant women are unaware of the specific oral health issues that can arise during pregnancy and how to properly care for their teeth and gingiva.

With morning sickness, the stomach acids can erode the protective enamel layer of the teeth, making them more susceptible to decay and sensitivity. To minimise this risk, pregnant patients should be advised to rinse their mouths with water or a fluoridated mouthwash after vomiting and wait at least half an hour before brushing to allow the saliva to neutralise the acid.iii

Hormonal surges

Hormonal changes are one of the primary factors that contribute to oral health challenges during pregnancy. The surge in hormonal levels, specifically oestrogen and progesterone, can lead to an increased blood flow to the gingiva. This increased blood flow, coupled with the presence of more bacteria in the mouth due to changes in eating habits and oral care routines, can result in swollen, tender and bleeding gums. This condition, known as pregnancy gingivitis,iv affects up to 75% of pregnant women.v

Additionally, pregnancy hormones can affect the body’s response to plaque.ii Plaque buildup can occur more easily and may result in an inflammatory response from the gingiva, leading to more severe gingival diseases such as periodontitis,vi or a pregnancy epulis. If left untreated, periodontitis can lead to tooth loss and other serious oral health complications,vii and an epulis can require surgical excision to remove.

Pregnancy cravings are a common phenomenon, and many women find themselves indulging in sugary treats more often than usual. However, increased sugar consumption can significantly contribute to tooth decay and cavities.viii It is

essential for pregnant patients to be mindful of their sugar intake and opt for healthier snack alternatives like fruits and vegetables.

Regular check-ups

Another crucial aspect of oral care during pregnancy is regular dental check-ups. Expectant mothers in the UK are entitled to free NHS dental treatment and for 12 months after the baby is born.ix Dental professionals can identify any potential issues early on and provide appropriate treatment to prevent further complications. Some dental treatments, such as fillings and endodontic procedures, are safe to undergo during pregnancy,x especially during the second trimester.xi

Maintaining good oral hygiene is vital during pregnancy. Pregnant patients should aim to brush their teeth at least twice a day with a soft bristled toothbrush and fluoride toothpaste.ii Using an antimicrobial mouthwash can also help reduce plaque and bacteria in the mouth.xii It is important to focus on proper brushing techniques, paying attention to the gumline and hard-to-reach areas. Interdental cleaning should not be neglected. Regular interproximal cleaning can help prevent gingival disease xiii and maintain healthy gingiva throughout pregnancy. The FLEXI range of interdental brushes from TANDEX can help remove more plaque than brushing alone. Each product’s handle is flexible, and the brush can be bent into the perfect shape to clean in between the teeth. Available in 11 different sizes, the range presents a solution for each individual patient, for a comfortable and effective clean. They can be used to easily apply PREVENT GEL too, a product which contains 0.12% chlorhexidine and 900ppm fluoride known for their antibacterial and enamel strengthening properties.

Oral care challenges during pregnancy are common, but with the right knowledge and by

taking proactive steps, pregnant women can maintain good oral health. Practising proper oral hygiene habits, visiting the dentist regularly, and being mindful of diet and cravings are essential for a healthy smile during pregnancy. By prioritising oral care, pregnant women can ensure not only their own well-being but also the health of their developing baby.

For more information on Tandex’s range of products, visit https://tandex.dk/

Our products are also available from CTS Dental Supplies https://www.cts-dental.com/ and DHB Oral Healthcare https://dhb.co.uk/ n

References available upon request.

ABOUT THE AUTHOR

KIMBERLEY LLOYD-REES ON BEHALF OF TANDEX

Kimberley graduated from the University of Sheffield in 2010, where she now works as a clinical tutor in Dental Hygiene and Therapy as well as working in practice. She has spent her career working across a variety of specialist private and mixed dental practices, for the MOD and volunteering her time to a dental charity in Nepal.

A smile is the perfect matchmaker

How important is your patients’ oral health when they are looking to enter a new relationship? It’s certainly not the only factor that comes into play, but a link between dental health and social confidence has become more prominent in recent decades.

For some patients, oral health factors such as bad breath, and their smile as a whole, may be a conscious concern which affects the way they go about their social relationships. However, it may also be a problem which impacts other people’s perceptions of them – with judgements often made early and quickly.

The perfect smile

It’s no surprise that research has shown physical attraction to be a dominating factor in dating. Dental appearance is one of the most important facial features during social interactions, and when dental attractiveness decreases, people are seen to focus their attention more on the mouth of another individual.

Tooth alignment contributes greatly to dental attractiveness. A 2017 study found that all smile types that were not a ‘normal’ dentition (including a lack of incisal show, a gummy smile, crowding, an open bite and diastema) negatively impacted the social perception of both genders, including the willingness to go to dinner with an individual.

Teenagers in particular have been reported to think that it’s easier to find a romantic partner after orthodontic treatment, alongside a job and

an improved quality of life. This may not only be because of our perception of others, but the effect of malocclusions on self-esteem, which is especially pronounced amongst adolescents.

Whilst orthodontic treatment cannot guarantee improved dating prospects, it may form a part of the motivation to seek treatment, with an aim to improve social confidence.

Deep

breaths

A patient’s interactions with those in their social circles, and their attempts to create a romantic relationship, may not just be hindered by the visual appearance of their teeth. In fact, bad breath could be the biggest obstacle they face.

Amongst British adults, oral malodour was deemed a greater faux-pas than bad jokes, a terrible dress sense, lateness and poor manners in a 2019 survey. 80% of participants felt that if a date had bad breath, they wouldn’t go for a second meeting.

There is a variety of reasons a patient could have bad breath, as you will know. This includes everyday acts such as smoking and the consumption of strong-smelling or spicy foods and drinks, or greater oral health issues, such as gingival disease, the presence of caries or an infection. Other medical conditions, such as dry mouth, tonsilitis and acid reflux, could also be the cause of a distinct and unwelcome odour.

Living with bad breath is understandably difficult, and can cause significant embarrassment and depression when considering its social stigma. It would be easy to assume that if this affects a patient’s chances of a romantic relationship, it would fuel their anxiety and unhappiness with the condition. Evidence has even shown that those suffering from halitosis will often experience a social barrier between those closest to them, created invertedly by the sufferer, or by other people that surround them, which sends their happiness into greater disarray.

A date night fix

A high number of people experience halitosis, with some estimates putting the prevalence at around 50% of the population. To improve the oral health and everyday lives of these patients, and potentially

aid their social interactions in turn, clinicians must be prepared with a variety of solutions. This often means emphasising the need for good oral health, with effective daily brushing and the use of interdental cleaning solutions.

An appointment with a dental hygienist might be the best opportunity to displace any plaque and tartar that has developed following a poorly followed oral hygiene routine, which could be the cause of bad breath.

However, patients may be seeking a more immediate aid that they can rely on as part of their own routine. Clinicians could recommend the 12-Hour Fresh Breath Oral Rinse from The Breath Co, an effective solution crafted to harness the natural germ fighting ability of oxygen to identify and eliminate the source of bad breath. Patients are guaranteed to feel a new wave of confidence for up to 12 hours, with the long-lasting mouth rinse available in mild and icy mint flavourings.

Our smile is essential when connecting with our people, especially so in romantic settings. For some patients, their oral health may be a factor for concern that they feel is getting in their way of these social relationships. Luckily, dental professionals are best placed to provide effective care, and have a greater effect in a patient’s life.

For more information about The Breath Co, please visit http://www.thebreathco.com/ References available upon request.

ABOUT THE AUTHOR

ALISON REID RDH GDC 5615

Alison Reid RDH GDC 5615, qualified from Dundee dental hospital with a diploma in dental hygiene, is an NEBN qualified dental nurse, a Scotvec Assessor for dental nurses, and a professional educator for Waterpik,.

Guests join us from all areas of the industry to provide their own unique perspectives on a wide range of topics, from manufacturers and figureheads of various dental organisations, to those in the trenches working in practice, and more.

For

Nothing is o limits in The Probe Dental Podcast, so be sure to tune in wherever you get your podcasts!

Stroke risks for the patient with periodontitis

As a hygienist, where does your influence on a patient’s health end? You can transform a smile, prevent excessive oral pain, improve confidence in everyday life, and as research has shown, have a wider impact on a patient’s general well-being.

The care provided at recurrent appointments, along with the reiteration of smile-saving advice, is key to helping patients pick up a dedicated oral care routine. Without it, they may succumb to gingivitis or periodontitis, amongst a host of other oral health issues.

Periodontal disease has been closely linked with systemic conditions such as diabetes and cardiovascular disease, but it’s important that clinicians understand its particular association with stroke risks.

A known concern

A stroke is a life-threatening medical condition when the blood supply to part of the brain is cut off. Current knowledge amongst the public may be largely based around the Act FAST campaigns run throughout the country, most recently relaunched in 2021 following a fall in hospital admissions for stokes during the coronavirus pandemic. This drop was as significant as a 12% decline in cases between March and April 2020.

The Act FAST campaign aims to equip the general population with the ability to recognise the telltale signs of a stroke and call 999 in good time, before the condition deteriorates completely. It stands for Face, Arms, Speech, and Time and a 2015 randomised survey indicated 70% of participants knew of the campaign itself, and 90% knew to call emergency services when suspecting a stroke.

What may not be common knowledge is the relationship between strokes and gingival disease. Research suggests there is an increased risk of the condition in patients with periodontitis, especially in ischaemic events. These are attacks on the brain caused by blood clots, which are typically a result of atherosclerosis.

The key link

The connection between oral health and stroke risk lies mostly with inflammation. Dental infections such as gingivitis and periodontitis can spread to other regions of the mouth and create an inflammatory response, as is already seen in the gingiva.

If the bacteria that makes up the biofilm of dental plaque reaches the blood stream, it may slowly effect the rest of the body, releasing a variety of inflammatory mediators. A widespread inflammatory condition can increase the risk of a stroke episode, with markers such as C-Reactive protein, IL-6 and lipoprotein associated phospholipase A2 identified in the literature as key indicators for increased stroke risk. Both C-Reactive Proteinx and IL-6 have been positively correlated with the presence of periodontitis.

Therefore, for patients that are already susceptible to plaque build-up in the arteries, the inflammation from periodontal disease could be enough to provoke an ischaemic stroke. Patients with increased risk of atherosclerosis could include smokers, those with high cholesterol and high blood pressure, as well as those over the age of 65.

However, once a patient has already suffered a stroke, the presence of periodontitis could serve to worsen the condition. The penumbra tissue that surrounds an infarcted area is also damaged without neurological communication, but it is salvageable. It is predisposed to a greater chance of secondary cell death if it undergoes oxidative stress, reperfusion of tissue or microglial activity. Unfortunately, these can be triggered by systemic inflammation which, again, may present because of a periodontal infection.

Minimising risks

Preventative actions for stroke risks generally include encouraging patients to limit salt in a well-balanced diet, undertaking regular exercise and smoking cessation. It’s particularly important to reiterate to those most at risk the importance of looking after their oral health to prevent excessive inflammation.

An effective oral hygiene routine could be the simplest way to do this. This includes brushing twice a day to remove food and plaque trapped at the gumline, with either a manual or power tooth brush, as well as dedicated cleaning for interdental spaces.

As a dental professional, you are in the best possible position to recommended effective solutions that fit into this routine. The simplest change could be using the 100% Natural Baking Soda Toothpaste for Gum Protection from Arm & Hammer™, an excellent option that is clinically proven to improve gingival health and remove more plaque than non-baking soda toothpastes. The specialised formula contains 1450 ppm of fluoride to maximise protection for your patients, and its completely natural properties with 100% recyclable packaging makes the toothpaste a brilliantly sustainable option too.

Severe health issues such as strokes are difficult to predict, but the help of a dental professional could go far to minimising the risk of a severe incident. With healthier gums thanks to their clinician, patients could go on to live longer and happier lives.

For more information about the carefully formulated Arm & Hammer™ toothpaste range, please visit https://www.armandhammer.co.uk/ or email: ukenquiries@churchdwight.com n References available upon request.

ABOUT THE AUTHOR

Sharon has experience working as a hygienist in a variety of different settings including dental hospital, domiciliary home visits, military, private and general practice. She works with specialists and general dental practitioners to support patients with different needs including those who are nervous to visit the dentist. Sharon is also a professional educator for Waterpik, Water Flosser.

Interdental Brushes

High Quality doesn’t have to mean high price and for ease available from your current Interdental brush supplier.

Free marketing materials available to all stocking practices and a loyalty scheme to claim free brushes. For more information or to request a sample, visit www.optim-idb.uk

Tackling challenges with clear aligner therapy

Learning objectives

• Recognise the importance of patients following wear instructions

• Appreciate the challenges related to clear aligners and biofilm development

• Understand the importance of good oral hygiene for clear aligner patients

GDC Development Outcome: C

Clear aligner therapy has become an incredibly popular option for patients seeking orthodontic treatment. It offers a discreet alternative to fixed braces in mild to moderate cases of crowding or spacing, while maintaining a success rate of 80-90%. ii Additionally, it can make it easier for patients to keep their teeth clean during treatment when compared to traditional fixed appliances – however, it’s essential that patients are given complete and specific oral hygiene advice to help them keep their mouths healthy. iii Clinicians must ensure that patients understand the potential challenges they may face when they embark on their clear aligner treatment, and offer tailored advice, as maintaining oral health is essential for a successful treatment outcome. iv

Additionally, clinicians must carefully consider whether a patient is a candidate for clear aligner therapy. Factors such as a high plaque score, existing decalcification, or a history of caries may indicate that clear aligners are not appropriate.v This is particularly true if patients are provided with a sequence of aligners, and don’t return for monitoring frequently, as problems can develop quickly.vi

Consistently following wear instructions

In order to keep the mouth healthy during clear aligner therapy, patients should always follow wear instructions. This means wearing aligners virtually all of the time (generally recommended 20-22 hours per day) to help the teeth move predictably. vii However, it’s important to ensure that patients understand when not

to wear them to prevent any harm to their teeth and gingiva.

Aligners must be removed when eating, and when drinking anything except still water. This is because sugars could become trapped inside the aligner, not only staining it, but lowering the pH and putting the teeth in direct contact with the acid for extended periods of time, without the ability to easily wash it away. This could lead to demineralisation.viii

What are the challenges of clear aligner therapy?

Research suggests that some areas of clear aligners present particular challenges with biofilm growth when compared to flat areas. These include the cusp tips and any attachment dimples.ix Case studiesx show that, because of this, some patients might experience unusual demineralisation of the

cusp-tips and incisal-edges – as plaque is able to build up not only on the teeth, but on the inside aligner surfaces too. This may prove difficult to remove. Because the teeth are encased inside the aligner for the entire day, they are not exposed to the saliva flow that they normally would be. Therefore, they do not get the benefits of its cleansing, buffering, and remineralising properties. xi

Bacteria can become trapped inside the aligner and, if not removed and cleaned regularly, this can continue to build and negatively affect oral health. Because of this, strictly following wear instructions and oral hygiene advice is essential to effectively remove plaque and neutralise the acid in the mouth.

Compliance with oral hygiene instruction

In order to maximise the effects of clear aligner therapy, its essential that patients maintain excellent oral hygiene. By keeping the teeth and gingiva healthy, treatment will be able to progress predictably, allowing patients to experience the benefits of a successful outcome. As such, it’s important for clinicians to offer oral hygiene advice to help patients reduce levels of plaque and keep their teeth healthy. While it is easier to clean the teeth with clear aligners than fixed appliances, patients must understand

the important of thoroughly removing any debris from between their teeth to avoid the build-up of bacteria in their aligners. As such, clinicians should recommend toothbrushing with a fluoride toothpaste twice per day, and interdental cleaning once per day, as well as cleaning the aligners twice per day and rinsing them whenever necessary. xii

Remineralisation is a key concern for aligner wearers. In order to keep the enamel strong and healthy, this should be a focus when it comes to oral hygiene products. As such, clinicians should recommend specific oral care products which target this concern, to enable patients to successfully complete their course of treatment.

In order to protect the teeth under the aligners, it’s important that patients are keeping their aligners and their teeth clean, removing the aligners to eat and drink anything apart from still water. However, for patients who need an extra dose of freshness during treatment, Curaprox, the leading Swiss oral care brand, has created Aligner Foam. This is the ultimate helper for clear aligner patients. Aligner Foam can be applied directly to the inside of the aligner, or onto the teeth to retore, protect, and remineralise the teeth. Aligner Foam contains hydroxyapatite to remineralise the teeth and reduce sensitivity, hyaluronic acid to create a hydrating

and protective barrier, and magnolol to produce a strong antibacterial effect against streptococcus mutans.

In order for patients to enjoy successful clear aligner treatment, maintaining a healthy mouth is essential. Clear aligners present unique challenges which can result in unusual demineralisation in the cusptips and incisal-edges if plaque is allowed to accumulate. To combat this, patients must clean their teeth effectively and ensure their aligners are free from debris while worn. By supporting your patients, and regularly assessing their oral hygiene at appointments, you’ll help them achieve their aligned smile.

For more information, please visit https:// curaden.co.uk/shop/645-curaprox-alignerfoam-40ml.html

References

i. Oikonomou, Elissaios, et al. "Impact of aligners and fixed appliances on oral health during orthodontic treatment: A systematic review and meta-analysis." Oral Health & Preventive Dentistry 19.1 (2021): 659-672.

ii. AlMogbel A. Clear Aligner Therapy: Up to date review article. J Orthod Sci. 2023 Sep 4;12:37. doi: 10.4103/jos. jos_30_23. PMID: 37881665; PMCID: PMC10597356.

iii. Moshiri, Mazyar, et al. "Consequences of poor oral hygiene during clear aligner therapy." JCO 8.47 (2013): 494-98.

Brush Up on CPD

To answer the questions below, visit www.the-probe.co.uk and log in.

Click on the ‘CPD - Brush Up’ tab.

iv. Oikonomou, Elissaios, et al. "Impact of aligners and fixed appliances on oral health during orthodontic treatment: A systematic review and meta-analysis." Oral Health & Preventive Dentistry 19.1 (2021): 659-672.

v. Moshiri, Mazyar, et al. "Consequences of poor oral hygiene during clear aligner therapy." JCO 8.47 (2013): 494-98.

vi. Moshiri, Mazyar, et al. "Consequences of poor oral hygiene during clear aligner therapy." JCO 8.47 (2013): 494-98.

vii. Abbate, G. M., et al. "Periodontal health in teenagers treated with removable aligners and fixed orthodontic appliances." Journal of orofacial orthopedics (2015): 1-10.

viii. Moshiri, Mazyar, et al. "Consequences of poor oral hygiene during clear aligner therapy." JCO 8.47 (2013): 494-98.

ix. Sifakakis, Iosif, et al. "Salivary levels of cariogenic bacterial species during orthodontic treatment with thermoplastic aligners or fixed appliances: a prospective cohort study." Progress in orthodontics 19.1 (2018): 1-9.

x. Moshiri, Mazyar, et al. "Consequences of poor oral hygiene during clear aligner therapy." JCO 8.47 (2013): 494-98.

xi. Moshiri, Mazyar, et al. "Consequences of poor oral hygiene during clear aligner therapy." JCO 8.47 (2013): 494-98.

xii. https://blyssdental.com/how-to-cleaninvisalign/ n

The questions for this Brush Up will appear under ‘Brush Up – Smile March/April 2024’.

CPD questions – Tackling challenges with clear aligner therapy

1. Patients should remove their clear aligners only to:

a. Carry out oral hygiene

b. Eat

c. Drink anything apart from still water

d. All of the above

2. What is the success rate of clear aligner therapy in mild to moderate cases?

a. 50-60%

b. 60-70%

c. 70-80%

d. 80-90%

3. What factors might mean a patient is not an appropriate candidate for clear aligner therapy?

a. High plaque score

b. Existing decalcification

c. History of caries

d. All of the above

4. How many hours per day should clear aligners be worn?

a. 16-18 hours per day

b. 18-20 hours per day

c. 20-22 hours per day

d. 22-24 hours per day

5. What are the natural beneficial properties of saliva?

a. Cleansing

b. Buffering

c. Remineralising

d. All of the above

6. What benefit does the ingredient hydroxyapatite offer?

a. Remineralise

b. Hydrate

c. Antibacterial effect

d. None of the above

Maintaining gingival health at all stages of implant treatment

Learning objectives

• Understand the importance of assessing gingival suitability for dental implants

• Consider the factors which impact dental implant success

• Appreciate the modified oral hygiene routine required during recovery

GDC Development Outcome: C

When providing patients with treatments for missing teeth, dental implants remain the gold standard. This being said, it’s important to consider the factors which might impact a patient’s suitability for this type of treatment, as well as those which can affect success rates. These might include anatomical features, such as their gingival biotype or bone density, as well as lifestyle factors like their smoker status, gingival health, and their oral hygiene. Clinicians should carefully consider all of these factors, and make any appropriate recommendations/modifications prior to considering dental implant treatment, as they may have an impact on the outcome.

Assessing gingival biotype suitability

Each patient’s suitability for treatment can be assessed based on a number of factors. This includes their gingival biotype.

ii Generally, if a patient has a thick biotype, it is related to good periodontal health. A thick gingival biotype has dense tissues and a sufficient amount of attached gingiva. Usually, thick biotypes can withstand trauma and tend to undergo less inflammation. As such, this affords a number of benefits such as its ability to be manipulated, encouraging creeping attachment, and delivering enhanced aesthetic results following dental implant treatment. ii

On the other hand, a thin gingival biotype, characterised by thin gingival tissues, almost appears translucent and has minimal gingival attachment. This type also has an accentuated anatomy, suggesting limited bone, and offers less resistance to gingival recession when it undergoes inflammation and surgery. Because of this, a thin biotype can pose a number of challenges when considering dental implants as they can cause aesthetic problems, particularly in the anterior zone. ii Because a thin gingival biotype can have a significant impact on treatment results, it may be appropriate to modify the tissue to improve thickness. The most commonly used

Up on CPD

Brush

technique here is the connective tissue graft, which is considered reliable. Procedures which improve the gingival thickness should be carried out prior to dental implant treatment to help provide more desirable functional and aesthetic outcomes.ii

Factors which impact treatment success

Aside from assessing a patient’s gingival biotype, clinicians should consider other factors which may impact the rates of treatment success. These may include: gingivitis, smoking, insufficient bone density, pre-existing medical conditions, and poor dental hygiene. iii

Oral hygiene is key for maintaining a healthily mouth, particularly when a patient requires an invasive treatment such as dental implantology. It is widely understood that when bacterial plaque accumulates it leads to gingivitis, periodontitis, and peri-implantitis. Should there be any accompanying symptoms of infection or radiographic bone loss, this may indicate implant failure. To manage this, it’s important to clean around the implant thoroughly, in order to remove all plaque build-up and reduce the risk of infection.iv

Peri-implantitis is a particular concern if a patient has uncontrolled plaque accumulation around a dental implant. It leads to the loss of supporting bone around the implant, with symptoms including bleeding, suppuration, and implant mobility. Suppuration is detected in 30% of patients or 17% of dental implants.v

Inflammation progresses more quickly around dental implants than neighbouring natural teeth, so it’s important to act fast in order to induce recovery and save the implant and adjacent teeth.iv

Advice for patients in recovery

While there are lots of factors to consider, it’s important to ensure patients are equipped with all of the information and advice they need to make an informed decision about their treatment. This includes recommendations for pre- and post-operative care. Patients may experience discomfort when cleaning the surgical site, so it is important to recommend alternative cleaning methods to ensure they’re still able to keep bacteria levels under control without pain or trauma.

In particular, it is vital that patients remove all of the debris and plaque that could lead to peri-implantitis. For patients recovering from dental implant surgery, a modified oral hygiene routine is likely to be needed, with the use of an antibacterial mouthwash containing chlorhexidine,vi for example. Citrox® is also a beneficial ingredient in oral care products, a natural bioflavonoid derived from citrus fruit.vii To keep the surgical site clean and healthy after healing, and once the crown is fitted, brushing twice daily with daily interdental cleaning will be essential in removing plaque around the implant.iii

Some patients may require an implant retained bridge, or a full arch prosthesis. In these cases, it’s important that the

clinician ensures that the prosthesis accommodates thorough cleaning around it using an interdental brush or dental floss, for example. This will ensure that patients are able to remove plaque from underneath the prosthesis, avoiding irritation to the gingiva and reducing the risk of periimplantitis. In order to set patients up for a smooth recovery, it’s important to provide them with all of the tools they’ll need. The Implant Care Kit from Curaprox contains a Curaprox Surgical Toothbrush, Perio plus Support toothpaste, a Perio plus Regenerate 0.09% chlorhexidine mouth rinse, and a range of interdental brush sizes. The Implant Care Kit includes everything patients need to take care of their oral hygiene after implant surgery, to prevent irritation and infection and make their recovery as smooth as possible. By offering patients a complete toolkit, a cleanable prosthesis, and the advice they’ll need to clean around their implant properly, you’ll ensure they’re in the best possible position to avoid infections and enjoy a comfortable recovery. This will also help them to develop good habits in the long term to reduce the risks of peri-implantitis and late implant failure.

For more information, please visit https:// curaden.co.uk/shop/629-curaprox-regenerateimplant-kit.html

References

i. Del Amo, Fernando Suárez-López, Shan-Huey Yu, and Hom-Lay Wang.

"Non-surgical therapy for peri-implant diseases: a systematic review." Journal of oral & maxillofacial research 7.3 (2016).

ii. Sarma, Marjita, Nina Shenoy, and Rahul Bhandary. "Gingival Biotype: A Secret for Esthetic

To answer the questions below, visit www.the-probe.co.uk and log in. Click on the ‘CPD - Brush Up’ tab. The questions for this Brush Up will appear under ‘Brush Up – Smile March/April 2024’.

CPD questions – Maintaining gingival health at all stages of implant treatment

1. Which gingival biotype is less resistant to gingival recession?

a. Thick

b. Thin

c. Neither

d. Both

2. What are key risk factors to consider which may impact dental implant success rates?

a. Gingivitis

b. Smoking

c. Poor dental hygiene

d. All of the above

3. How can patients keep the implant site clean following surgery?

a. Hard toothbrushing

b. Drinking milk

c. Using a chlorhexidine mouth rinse

d. Doing nothing

Success." Journal of Health and Allied Sciences NU 12.01 (2021): 13-17. https://www.thiemeconnect.com/products/ejournals/ html/10.1055/s-0041-1731116

iii. Healthline. What to know about dental implant complications and failure. Accessed Jan 24. https:// www.healthline.com/health/dentalimplant-problems

iv. Dutta SR, Passi D, Singh P, Atri M, Mohan S, Sharma A. Risks and complications associated with dental implant failure: Critical update. Natl J Maxillofac Surg. 2020 JanJun;11(1):14-19. doi: 10.4103/ njms.NJMS_75_16. Epub 2020 Jun 18. PMID: 33041571; PMCID: PMC7518499.

v. Dental Update. Peri-implant disease part 1: diagnosis and assessment parameters. Accessed Jan 24. https://www. dental-update.co.uk/content/ restorative-dentistry/peri-implantdisease-part-1-diagnosis-andassessment-parameters/

vi. Solderer, Alex, et al. "Efficacy of chlorhexidine rinses after periodontal or implant surgery: a systematic review." Clinical oral investigations 23 (2019): 21-32.

vii. Hooper, S., Lewis, M., Wilson, M. et al. Antimicrobial activity of Citrox® bioflavonoid preparations against oral microorganisms. Br Dent J 210, E22 (2011). https://doi.org/10.1038/ sj.bdj.2010.1224 n

4. What percentage of patients is suppuration detected in? a. 10% b. 20% c. 30%

40%

5. Where is Citrox® derived from?

a. Citrus fruit

b. Fungus

c. Vegetables

d. Man-made

6. How can clinicians help to give their patients the best chance of treatment success?

a. Advise a modified oral hygiene routine for recovery

b. Ensure the implant retained prosthesis is cleanable

c. Recommend a mouth rinse containing chlorhexidine

d. All of the above

You can now prescribe Oralieve Moisturising Mouth Gel

60% of older adults complain of dry mouth, which may be associated with polypharmacy. With over half of those aged 65 or older taking 3 or more prescribed medications, dental teams will increasingly see patients suffering from this condition.

Dry mouth can lead to difficulty speaking and swallowing, negatively affect oral health, and also impact the quality of life of sufferers.

Recommend Oralieve Moisturising Mouth Gelprovides effective and lasting relief for dry mouth and can now be prescribed by dental healthcare professionals.

BioMin

For more information or patient samples, visit www.oralieve.co.uk.

www.oralieve.co.uk.

F - continuous 12 hour fluoride protection!

Conventional 1450ppm and above fluoride toothpastes only deliver fluoride for a maximum of 90 minutes, whatever their fluoride content and provided the patient does not rinse. Despite its lower 530ppm fluoride content, Biomin F remains active for up to 12 hours, continuously releasing fluoride to strengthen teeth and protect against decay, even if the patient’s toothbrushing is erratic and inefficient.

BioMin F contains tiny bioglass particles made up of fluoro calcium phosphosilicate bioactive glass which bonds to teeth and enters the dentinal tubules, where they gradually dissolve for up to 12 hours, slowly releasing calcium, fluoride and phosphate ions. These combine with saliva to form fluorapatite which strengthens teeth, aids effective remineralisation of enamel and provides effective

In association with GC UK and NSK, Trycare are running a series of Full Day Workshops by Joan Mach, one of Europe’s leading exponents in minimally invasive aesthetic and restorative dentistry. Joan will cover all the key points for achieving excellence in direct anterior composites using a biomimetic and noninvasive approach. Including how to accomplish outstanding aesthetic results and long-lasting treatments in the anterior region using the latest products, including Tokuyama’s Estelite Sigma Quick.

Featuring the use of silicon matrices, layering processes for complex class IV restorations, finishing & polishing, and much much more,

treatment for hypersensitivity.

Patients also report that teeth feel smoother and cleaner, there is a noticeable absence of background oral sensitivity and that gums are healthier and less prone to bleeding.

A genuine Practice Builder, BioMin F enables patients to enhance their smile and improve their oral health and comfort. It is the only toothpaste approved by the Oral Health Foundation for sensitivity relief and remineralisation.

For further information visit the website, or call 01274 885544.

www.trycare.co.uk/biomin

live demonstrations and handson practice will help Delegates to recreate nature and achieve natural lifelike results.

Offering 6 ½ Hours CPD with Learning Objective C, the Workshops will be held in Birmingham (Friday 14th June) and London (Saturday 15th June).

Course fee, including all course materials and refreshments, £395.00 + vat (before 30th April 2024) and £495.00 + vat (after 30th April 2024).

For more information, call:01274 885544 or visit the website.

www.trycare.co.uk

Triple Headed Toothbrush - welcome to the best smile of your life!

With the introduction of the Triple Headed Toothbrush, Trycare have launched a paradigm shift in electric toothbrush heads that makes the Philips Sonicare even more effective, in fact three times more effective!

Designed by a Dentist, the Triple Headed Toothbrush Head features individual labial, lingual and occlusal orientated brush heads which combine to provide the most thorough toothbrush experience your mouth has ever enjoyed, delivering three times more prophylaxis for a two minute cycle.

Featuring patented angled brush heads that clean along the gingival margin and extra soft bristles that do not harm enamel or gingiva,

the labial and lingual heads are positioned at a 45° angle so they automatically brush perfectly every time. The three sides of the brush naturally adapting to the teeth so that it works on teeth of all shapes, sizes and positions.

Incorporating a built-in bristle indicator to let patients know it’s time to change, Triple Headed Toothbrushes are recommended for children 8 years old and above. They are safe for use with implants and other restorations.

Telephone: 01274 885544 or visit the website.

www.trycare.co.uk/triple-bristle

Time is precious

With well over 1,000 successful aligner treatments under her belt (making her a Diamond Invisalign Practitioner), Dr Gina Vega is a dental professional in demand.

Principal of Bishopgate Dental Care in the heart of the City of London since 2010, Gina’s time is a valuable commodity and that’s why Kiroku, the AI-based note taking platform, caught her eye.

“I discovered it via an email from the British Academy of Cosmetic Dentistry,” she recalls. “It was offering members a special deal and I’ve now been using it for a year.”

It’s not just the time-saving element that Gina appreciates – it can help dental professionals complete their notes 60% faster – it’s the software’s thoroughness. “The system prompts you to asks the right questions, in the right order,” she explains. “It’s very straightforward and comprehensive.”

Gina found setting Kiroku up uncomplicated and dealing with the customer service team a joy. “They are absolutely lovely and very easy to talk to,” she says.

She particularly liked that the team could help her edit her document templates. “They help make them more efficient for your practice,” she adds. “I recommend Kiroku to everyone!”

For more information about how Kiroku can help you in your practice, get in touch with the team today.

www.trykiroku.com

FluoroDose

The top fluoride dose just got better! Centrix’s FluoroDose is the award winning 5% sodium fluoride varnish that’s easy to apply. Centrix’s redesigned FluoroDose packaging has new patented features to enhance its handling, comfort and patient safety. In addition to a single dose of varnish, each LolliTray contains a Benda Brush applicator and has been designed so it can be “popped up” with one hand, making removal simple and safe.

FluoroDose has a smooth consistency, fast application and choice of five flavours – caramel, bubble gum, mint, cherry and melon. It is supplied in an Introductory Pack containing all flavours and refills. Because the varnish is mixed prior to application it always has the optimum fluoride distribution, unlike syringes which frequently separate out leaving inconsistent mixes of ineffectively low and dangerously high fluoride concentrations. Each LolliTray contains enough varnish to protect a full adult dentition. Non-gritty and easy to apply in an undetectably thin film, it is colourless so that it doesn’t affect the appearance after bleaching.

Quick-drying and long-lasting, FluoroDose is suitable for adults with caries risk factors as well as children. It can be applied as often as needed and is FDA-approved for treating dentinal sensitivity. Telephone: 01274 885544 or visit the website.

www.trycare.co.uk

Trycare Ltd - Full Day Restorative Hands-on Workshops with Joan Mach

ECPD for your whole practice

CPD 4 DCPs is a fully veri able ECPD programme that enables each member of the dental team to complete one year’s ECPD requirement in a highly cost-effective manner. Covering all the highly recommended subjects, each volume is specially designed to cover the ECPD needs of up to 10 DCPs.

Providing 10 hours of veri able ECPD, one Volume covers the annual veri able ECPD needs of most practices.

Subjects covered:

• Don’t let sensitivity be a pain

• Identifying missing teeth

• Air pollution: keeping patients and staff safe

• Educating patients about the HPV vaccine

• Harnessing digital imaging solutions for an accurate diagnosis

• When to say no

• Stress and burnout

• Maintaining soft tissue health around dental implants

• Protecting vulnerable patients – an introduction to safeguarding

• Dealing with a patient suffering from a cardiac emergency in the dental practice

Just one Volume per practice per year, up to 10 people

10 hours veri able CPD including all recommended subjects

Ongoing modular learning programme

The whole team learning from the same information at the same pace

Saves time and money

Can be used by GDPs

Enhanced CPD Compliant

Introducing The Dental Awards 2024 judging panel

Meet the extraordinary line up of industry professionals that form the judging panel for this year’s

Dr Ben Atkins BDS – Board of Trustees at the OHF

Ben is a British Dental Health Foundation trustee and spokesperson. Ben was a member of the Young Dentists Commission in 1999. Since then, he has been Press and Parliamentary Representative for the British Dental Association. He also used to lecture at Manchester Dental School. He’s currently on the Board of Trustees of the OHF, and Chairman of the Salford Local Dental Committee.

Lisa Bainham – President, Assoc. of Dental Administrators and Managers (ADAM).

Lisa originally trained to be a dental nurse at North Staffordshire Hospital and qualified in 1994. Originally working in an orthodontic practice, she then developed an interest in practice management and came to join Steve Lomas, as the practice manager at The Old Surgery, Crewe, when the practice opened in 1998. She has a true insider’s knowledge of what it takes to be a Dental Awards winner, having won the Practice Manager of the Year category in 2016. Lisa became President of ADAM, which has over 500 members throughout the UK, at the end of 2016.

Glenys Bridges – Co-founder, CASPER

Glenys is a highly experienced management trainer and business consultant with more than 20 years’ experience working with GDPs and their teams. Her work is currently as Managing Partner of Glenys Bridges and Partners Practice Pathways providing training and professional development for non-clinical dental professionals. She has expertise and qualifications in management, HR, counselling and life coaching and is three times -published author and a regular columnist in the dental press. Glenys’ first book, Dental Practice Management and Reception were published in 2006 and 2019 and her second book, Dental Management in Practice, in 2012.

Debbie Hemington – President, British Association of Dental Therapists

Debbie is President of the British Association of Dental Therapists, and works to support and represent current and future dental therapists.

Paroo Mistry – Member of The Probe‘s editorial board.

Paroo is a Consultant Orthodontist. She divides her time between Chase Farm Hospital and her private practice in North London. Paroo has been a judge on the Dental Awards since 2008.

Tim Newton – President of the Oral Health Foundation

Tim Newton is a Psychologist who has spent over 30 years working in dental settings with the goal of ensuring that everyone has the opportunity to enjoy the benefits of good oral and dental health. He is particularly concerned with addressing the needs of people who are anxious about attending the dentist, and in encouraging dental healthcare professionals to work with patients to develop healthy behaviours.

Tim is employed by King’s College London as Professor of Psychology as Applied to Dentistry, spending half his time working as Honorary Consultant Health Psychologist. Tim’s clinical work is focussed on individuals with dental phobia, and support for individual’s facing challenging dental procedures.

Amanda Oakey – Director of Education, British Dental Health Foundation

Leading the educational resources team, Amanda manages all educational resources from the Foundation. This includes marketing and selling existing products as well as purchasing and developing new resources. Amanda executes the creation and implementation of agreed projects is in charge of creating campaign products including National Smile Month and Mouth Cancer Action Month. She also is in charge of distribution of resources along with managing exhibition presentations.

Amit Patel – Specialist in Periodontics & Implant Dentist Amit is registered with the General Dental Council as a Specialist in Periodontics. Alongside his private practice, he also works as Associate Specialist in Periodontics and Honorary Clinical Lecturer at the University of Birmingham Dental School. His special interests are dental implants, regenerative and aesthetic periodontics. Amit graduated in Dentistry from the University of Liverpool in 1997. Following a training post in Restorative Dentistry at the Liverpool Dental School he gained significant experience in Oral and Maxillofacial surgery through 3 prestigious hospital posts. He obtained his Membership of the Faculty of Dental Surgeons at the Royal College of Surgeons in Edinburgh in 2000. This training involved acquisition of the most up-to-date techniques in Periodontics and Implantology under the expert supervision of Professor Richard Palmer who was appointed the first Professor of Implant Dentistry in the United Kingdom. Amit then obtained his Membership in Restorative Dentistry from the Royal College of Surgeons of England and became a registered Specialist in Periodontics.

Dr Davinder Raju – Dove Holistic Dental Centre

Dr Raju gained his dental degree from the University of Liverpool and a Masters in Advanced Minimum Intervention Restorative Dentistry (MSc) from Kings College, London. He developed his interest in sustainable dentistry while he was undertaking his MSc., deciding he wanted his approach to clinical dentistry to be reflected in all aspects of his life. He went on to establish the first fully sustainable practice in the UK, the Dove Holistic Dental Centre in Sussex. In 2021 he launched the Greener Dentistry Global toolkit and accreditation programme to share his knowledge and experience with colleagues wanting to embark on a more sustainable way of working. Now a recognised authority on sustainable dentistry in general dental practice, Dr Raju has written and lectured widely. He is a contributor to a book aimed at primary care to be published later this year, and he has been nominated for a fellowship of the International College of Dentists.

Ewa Rozwadowska – Member of The Probe‘s editorial board. Ewa is a highly experienced practicing general dentist and previous principal of an awardwinning practice in Stroud. She has been a judge on the Dental Awards for over 10 years. In her business, Beyond Teeth, she is a professional dental coach and mentor, helping dental practice owners and individual clinicians to enjoy their lives and careers.

Miranda Steeples – President, British Society of Dental Hygiene & Therapy Miranda qualified as a dental hygienist and dental therapist from the University from Leeds in 2009 having previously worked as a dental nurse. She had not been a very active member of the BSDHT south east regional group when she saw a call out for a new treasurer and in September 2014, was voted onto the regional group committee. Miranda was elected as BSDHT’s President-Elect at the AGM in November 2020 and began her 2 year term serving as President in November 2022.

Pam Swain – Chief Executive, BADN Pam began working for the Association in 1992, when she returned to the UK after several years abroad working for various multi-national organisations, including the Home Office, NATO, Hilton International and the Bank of Bermuda. She is editor of the British Dental Nurses’ Journal, a Fellow of the Institute of Association Management and of the Chartered Management Institute. She was awarded the City & Guilds Licentiate in Management in 2005 and an Open University MBA in 2007. n

Turn static files into dynamic content formats.

Create a flipbook
Issuu converts static files into: digital portfolios, online yearbooks, online catalogs, digital photo albums and more. Sign up and create your flipbook.