The Probe July 2025

Page 1


TOTAL CONFIDENCE

99% 99% 82% 91% 98%

Likely to recommend Colgate® after using Colgate Total® Active Prevention1

Felt a fresh, clean mouth after using Colgate Total® Active Prevention1

‘Nice to try the new formulationit is the number one toothpaste I recommend’1

‘Fantastic toothpaste, makes your mouth feel fresh every time’1

‘Love the new toothpaste – excellent protection, reduces plaque/calculus build up’1

Want to keep using Colgate Total® Active Prevention1

Giving you TOTAL CONFIDENCE to recommend NEW Colgate Total®

King’s Birthday Honours 2025 shines a spotlight on dentistry

As part of the King’s birthday celebrations, the honours list for the United Kingdom was announced on 14 June 2025. Amongst those set to receive medals are six members of the dental professions.

• Sara Hurley CBE

• Peter Brennan OBE

• Roslyn McMullan OBE

• Fiona Sandom MBE

• Linda Greenwall MBE

• Peter Cranfield MBE

Sara Hurley, a figure synonymous with transformative leadership in oral health, has been awarded a CBE in the recent King’s Birthday Honours list. This prestigious recognition acknowledges the former Chief Dental Officer, England’s profound and sustained impact on dental care and policy over a distinguished career spanning three and a half decades.

Responding to the announcement, Sara Hurley expressed her profound gratitude and humility. “I’m truly honoured — and deeply humbled — by this recognition,” she stated. Emphasising the collective effort behind her achievements, she added, “It’s never about one individual. This award reflects the efforts of so many talented and committed people I’ve had the privilege to work alongside for the past three and a half decades — clinicians, policymakers, educators, and advocates — all striving to improve oral health, especially for those too often left behind.”

Professor Peter Brennan, awarded an OBE, is a Consultant Oral and Maxillofacial Surgeon, and Honorary Professor of Surgery at Portsmouth Hospitals University NHS Trust. His recognition comes for services to surgery and patient safety.

Also receiving an OBE is Roz McMullan, for services to mental health and wellbeing in the dental profession. Roz is a former BDA President and was appointed Consultant Orthodontist in the WHSCT Altnagelvin, Tyrone County and Erne (later SWAH) hospitals, in 1991. She also was a co-founder of the Mental Health

Wellness in Dentistry framework and the collaboration which developed the signposting resource, Support for Dental Teams.She currently serves as Honorary Patron at the British Orthodontic Society.

“I really do feel honoured and humbled,” said Roz. “This is an award on behalf of all those teams I have worked in – the clinical teams who allowed me to work on this ‘extracurricular activity’, the management teams at the Trust and SPPG for their support, the Northern Ireland Deanery and Public Health Agency and the teams at BOS, BDA, BDA Benevolent Fund, Dentists’ Health Support Trust, FDI, MHWD and MINDSET UK . They have all supported me throughout my work on mental health and suicide prevention and I thank them for it.”

Fiona Sandom has been appointed MBE, recognising her exceptional contributions to dental therapy and the National Health Service (NHS) in Wales.

Dr Sandom’s distinguished career includes significant roles within the British Association of Dental Therapists (BADT), where she served as both President and Chair. Her leadership was pivotal in advancing the role and recognition of dental therapists throughout the United Kingdom. Her dedication to education, policy development, and clinical excellence has left a profound mark on the profession. Currently, Dr Sandom holds positions as the Dental Professional Support Unit (DPSU)

Lead and North Wales Regional Lead for Health Education and Improvement Wales (HEIW). She completed her PhD at Bangor University in 2023, where she was also instrumental in establishing the dental hygiene programme.

A testament to her unwavering commitment, Dr Sandom dedicated over 11 years, much of it in her own time, to the prescription-only medicine exemptions project. Her tireless efforts culminated in a crucial legislative change that granted dental therapists and dental hygienists full clinical autonomy, significantly expanding their scope of practice.

An MBE has been awarded to Peter Cranfield for his contributions to dental education. As an Associate Postgraduate Dean and Training Programme Director for NHS England, Peter plays a vital role. He is also the Regional Advisor for Health Education East of England, where he dedicates considerable effort to both organising and delivering dental foundation training.

Linda Greenwall has also received an MBE for services to dentistry and to charity. In 2011, she founded the Dental Wellness Trust, a charity dedicated to promoting dental wellness in less fortunate children across the UK and worldwide.

The Probe congratulates each of those honoured by His Majesty. 

CDS’s state-of-the-art dental training centre officially opened

Community Dental Services CIC (CDS) has opened a new state-of-theart dental Training Centre. Based at the Dental Care Centre, Bedford Health Village, the facility is one of the most advanced of its kind in the East of England, promoting dental learning and life-long skills development for the whole dental team.

Officially opened by Jason Wong MBE, Chief Dental Officer for England, the new facility features a Dental Skills Room with haptic head technology – not widely available outside the dental teaching hospitals. 

ADG presents ‘Creating Dental Oases’ report to Parliament

The Association of Dental Groups (ADG) has launched its ‘Creating Dental Oases’ report to MPs in the House of Commons, showing that 4.5m patients are going untreated annually due to the 2,749 shortfall in the dental workforce – whilst at the same time, fully trained dentists from overseas who are living in the UK, are having to make ends meet by working in McDonald’s and Subway fast food restaurants because of the registration system’s ‘bottle-neck’.

Neil Carmichael, Executive Chair, Association of Dental Groups said: “We need to unlock the barriers preventing the 6,000 fully-trained overseas dentists in the registration queue to practice as dentists in the UK, as a matter of urgency. Many of these dentists are here working in unskilled roles. The General Dental Council must reform the Overseas Registration Examination, since currently each exam sitting only has capacity for 600 students. At that rate, it will take years to get them qualified!

“The ADG has been speaking to fully-trained dentists, such as Ahmed who has come to the UK from Egypt. He is having to work in McDonald’s cleaning the lavatories because he can’t get through the ORE! This is crazy and should be our number one priority.” 

Fiona Sandom
Sara Hurley
Roz McMullan

A welcome from the editor

Summer is ablaze and dentistry is on fire! At least, it would seem so given the fact that four members of the British dental community were named in the King’s birthday honours list. If you missed it, turn back a page to read all about it in this month’s top story. Congratulations once again to those on the list.

We also have a pair of young dentists in the spotlight this month, as Riaz Sharif provides us with his top 10 tips for young dentists on page 8, while Dhroov Thanki explores the effects of Vitamin D on periodontal health on page 19. It’s always fantastic to see and hear new perspectives, so we encourage all dentists, young and otherwise, to get in touch should you have something to say to the profession. This issue also brings you three case studies, a pair of CPD articles, and the remaining winners and finalists from the 2025 Dental Awards. As always, there is plenty to sink your teeth into here. In addition, stay tuned to the-probe.co.uk for new podcasts and videos dropping at an ever higher frequency. Stay cool in the heat and, until next time, enjoy the magazine!

The Probe is published by Purple Media Solutions.

Registered in England.

Registered number 5949065

Managing Editor: James Cooke

Commercial Director: Gary Henson

Divisional Administrator: Francesca Smith

Production Designer 1 : Lorna Reekie

Production Designer 2: Rob Tremain

Digital Content Manager: Stephen Wadey

Circulation Manager: Andy Kirk

Managing Director: Ed Hunt

Regular Contributors: Lisa Bainham, Nigel Carter, Barry Cockcroft, Ollie Jupes and Pam Swain

E-mail news, stories or opinion to james.cooke@purplems.com

Circulation/Subscriptions: The Probe Subscriptions, Perception SaS, PO Box 304, Uckfield, East Sussex, TN22 9EZ, Tel: 01825 701520, https://purplems.my-subs.co.uk ©Purple

Media Solutions Ltd, 2014. All rights reserved. ISSN 0032-9185. The publisher’s written consent must be obtained before any part of this publication may be reproduced in any form whatsoever, including photocopies, and information retrieval systems. While every effort has been made to ensure that the information in this publication is correct and accurate, the publisher cannot accept

liability for any consequential loss or damage, however caused, arising as a result of using information printed in this magazine.

The views expressed in The Probe are not necessarily the views of the magazine, nor of Purple Media Solutions

Editorial Advisory Board: Dr Barry Oulton, B.Ch.D. DPDS MNLP; Dr Graham Barnby, BDS, DGDP RCS; Dr Ewa Rozwadowska, BDS; Dr Yogi Savania BChD, MFGDP; Dr Ashok Sethi, BDS, DGDP (UK), MGDS RCS; Dr Paroo Mistry BDS MFDS MSc MOrth FDS (orth); Dr Tim Sunnucks, BDS DRDP; Dr Jason Burns, BDS, LDS, DGDP (UK), DFO, MSc; Prof Phillip Dowell, BDS, MScD, DGDP RCS, FICD; Dr Nigel Taylor MDSc, BDS, FDS RCS(Eng), M’Orth RCS(Eng), D’Orth RCS(Eng); Mark Wright BDS(Lon), DGDP RCS(UK), Dip Imp Dent.RCS (Eng) Adv. Cert, FICD; Dr Yasminder Virdee BDS. Readers

Dr Henry Cairns Implant Dentistry Specialist
Dhroov Thanki Dentist with a Special Interest in Periodontics
Dr Vera Da Silva BDS Prosthodontist
Rahul Patel Ordinary Member BES Council
Riaz Sharif Dentist at mydentist, Parkstone Road, Poole
Polly Bhambra Practice Principal Treetops Dental Surgery
Dr Nick Fahey Principal Dentist Woodborough House
Jay Dickens Social Media Manager Connect My Marketing

Diary of a Nash Basher

Monday 1st August, 2005

5.10am

Bad night’s sleep. I dreamt that I’d returned to work from holiday and began to take a lower seven out but accidentally knocked the siqveland off the patient’s upper five (WHY???) and he swallowed it. Naturally, since it was a dire emergency, I went straight to my indemnity details (which for some reason were in a barrel of Hobnobs in the kitchen) but then realised that my cover expired on 31st July.

I went back into the surgery, pulled up a chair and ate bourbon biscuits with a Starbucks latte (we had a new Starbucks outlet in the decontamination room by this point - installed while I was in Chania), while I watched as several nurses tried in vain to retrieve the matrix band with those claw things you see in the amusement arcade on Weston Pier. My shouts of “Try the Heimlich!” fell on deaf ears. I could have helped, I suppose, but they were particularly tasty bourbons. I wonder what Carl Jung would have made of that one?

8.30am

First day back after Crete and my list today looked like it was forged in the Bowels of Hell (located just south of Skegness). Mandy was on the desk today. She looked and sounded like she spent the weekend taking angry pills. Mandy demanded that I ring Mr Armitage back regarding his upper left central. He was claiming he had paid extra for a white crown. He didn’t - it was a normal Band 3 charge but since he only ever previously needed direct restorations, the cost must have come as a bit of a shock, I assume. For some reason, Mr A decided to purchase a dental mirror from Boots after his crown was fitted and had been incensed when he saw metal at the back of the tooth near the gum.

“Is that normal?” Mandy asked? No. Going to Boots for a mirror to check your longstanding dentist’s work ISN’T normal. I despair when looking at my list and see Mrs Blenkinsop has been squeezed in between patients, late morning, with a tricky one.

9.20am

I had a third attempt at an ID block on Mr Straitjacket - I think his name is really pronounced Strathallen, but it’ll do. Twenty minutes on and there’d been no visit from Mistress Lip-Paraesthesia. I only booked a half-an-hour slot for a large MOD on a seven – but that’s the Nash for you.

Stupidly, I also booked nitrous oxide ortho extractions immediately afterwards. That’s all you need. An anxious, stressed dentist treating an anxious, stressed 14-year-old.

I finally got Felicity in at five minutes to 10 after a gargantuan battle with Mr S’s tongue and gagging reflex. I took an earful from Felicity’s mum for the wait. “She’s worked up as it is without having to wait in that awful waiting room filled with gummy breath.” Mercifully, Felicity’s extractions were a breeze, and the bubble-gum flavoured topical/nitrous

combination worked their beautifully coordinated magic. The flavoured stuff is well worth the extra cost. I’d rather use that than have the dramatic overreactions and multiple rinses that patients always roll out if they swallow a little bit of lignocaine-flavoured spit.

10.30am

P came in for an exam. She seemed on form today and wasn’t too disorientated. She had no symptoms, but I wasn’t happy with a crop of white patches under her tongue. A couple of the patches seemed to be markedly inflamed in the periphery. I didn’t like the look at all, especially in view of her smoking and scotch drinking. Referred to the local oral surgery unit. I hope it’s nothing. Nice lady. Awful life.

11.30am-ish

Mrs B came in and pretty much threw her Maryland bridge at me. She was also verbally rude, telling me she was “Sick to the back teeth” of coming in every few weeks to have it recemented. She told me that the situation was disgusting and that she had a “good mind to complain about my ‘unsatisfactory treatment’.”

Tracey searched Mrs B’s notes and nudged me when she had located the relevant information on the computer monitor. It was only the second time the Maryland had become detached in 13 years. When Mrs B disputed my notes, I asked if she had been to any other dentists to have it recemented, she told me that she hadn’t but also hadn’t ruled out complaining about me to the ‘General Dental Company’ (GDC). She said she hadn’t been to any other dentists for recementation because “I don’t trust anybody else.”

It didn’t go down well when I had to explain that the bridge would have to go to the laboratory overnight for re-etching. She left the surgery chuntering on about all the money her tooth had cost her over the years. Another search through the notes by Tracey revealed the bridge hadn’t ever cost her a penny, since she had been exempt since before 1992, when I first fitted it. Bless.

12.00pm

I was running nearly 40 minutes behind by now, so I was pleased that Mr M cancelled late. At least he apologised this time. On this occasion it was his mother-in-law’s emergency gall bladder op. Last time, if I remember correctly, he was delayed by a marching band of kazoo-playing badgers holding up the traffic on the A429.

1.15pm

I grabbed a few bites of my sandwich and rang Mr Armitage about his upper crown. He said that he was disappointed to see that the crown wasn’t pure porcelain and still has poisonous amalgam in it. I reassured that there was no amalgam contained in a bonded crown and I tried to give Mr A the correct proportions of non-precious

metals present in his crown, particularly emphasising the complete lack of mercury involved in its construction. Mr A told me that he would be “forced into doing some serious Googling.”

1.30pm

Ken finished late and we bumped into each other in the corridor. He asked me if I’d heard. I hadn’t a clue what he was on about. Apparently draft regulations have been published on a new NHS GDS contract due to be rolled out in 2006. It seems that the Government is finally going to pay us for prioritising prevention. At last! Some sanity is coming to GDS dentistry.

3.20pm

Between patients, Glenys came in asking if the practice finances would stand her ordering more gloves and a box of wedges to replace the brand new box that Steph had accidentally emptied over the floor while I was away. How has it come to this? Is it time for a rethink about a private dental plan? Am very reluctant to go down that route.

3.45pm

The usual flurry of family exams, but little Marcus P had a very wobbly lower A that mum insisted I deal with on-the-spot. She was fearful that Marcus would choke on the tooth if it became dislodged during the night. Despite my assurances, I resorted to ethyl chloride on a cottonwool pledget after about 10 minutes of negotiation with the lad. Within a few seconds of

application, the tooth was out via my tense pinkies, although I did drop the tooth as I cleared the mouth. Oopsie. Maybe mum had a point. By this time, I was running 20 minutes late again.

4.15pm

What better way of finishing a day than with an hour-long first-stage rootcanal on an upper six, all on the Nash for the princely sum of… I can’t even write the words. It’s too depressing. Mr B objected to me playing music in the background and the application of the rubber dam. I explained at length why the rubber dam was necessary, but it was another five minutes before he said, “Ok. I’ll allow it this time.” He then gagged several times on my attempt to place the intraoral diagnostic film. Maybe one day I’ll be able to afford to buy an apex locator, assuming the Devil is still buying souls.

Monday 10th March, 2025

4.00pm

The forthcoming uplift for 2025-26 has been announced apparently. Roz tells me it’s going to be 2.39%. So glad I’m out of dentistry and the Nash. Must put the bin out. n

About the author ollie Jupes is the pseudonym of a former nHs dentist. He monitors dentistry on twitter X as @DentistGoneBadd

My top 10 tips for young dentists

Riaz

Dentistry is not just about teeth. It is about people, emotions, fear and trust. For young dentists stepping into this field, the journey is both exhilarating and can be terrifying at times. You stand at the edge of a profession that demands precision, compassion and resilience. The weight of responsibility is heavy, yet the potential for impact is limitless.

If I was to reach out and have a say to budding dentists or young dentists, it would be to never give up on the plan, no matter how hard it may seem. You will endure.

Dentistry can be an extremely challenging career, but you can thrive by embracing new challenges and opportunities. These opportunities are usually disguised as hard work, so most people won’t recognise them.

From my own experiences, early in my career, I have put together 10 top tips to share with up and coming dentists:

1) invest in yourself

One of the first and foremost tools for a young dentist is self-investment. Dental school only teaches us the core basics of dentistry but to be able to endeavor onto more interesting, more rewarding, advanced treatments, we need selfinvestment. Dental loupes are a must, they are more than just magnification devices, and they are game changers for enhanced precision, improved ergonomics and improved confidence.

While dental loupes improve your vision, investing in upskilling on advanced courses, such as year-long Post Graduate diplomas or Master qualifications, will allow you to eventually develop into the best version of yourself as a dentist. A combination of the right tools and continuous learning will help you build confidence, improve patient outcomes and grow as a professional. As a young dentist, every investment in your skills and equipment today will shape your success tomorrow, so stay curious, stay ambitious and always strive to be the best version of yourself.

2) Branding

As a young dentist, your skills and knowledge are essential but how you present yourself to the world is just as important. You are your greatest asset. The way you communicate, treat patients and present yourself shapes how people perceive you. A strong brand built on trust, expertise and authenticity will open doors for career growth, patient loyalty, and long-term success. Branding isn’t just for businesses; it’s about shaping your professional identity, standing out in a competitive field and attracting the right patients or career opportunities. Whether you’re starting in a private practice, joining a corporate clinic, or building your own practice, a strong personal brand can set you apart.

I do believe there is a strong stigma with young dentists having enough confidence to brand themselves as self-employed individuals in whatever cooperation or private practice they work at. I chose to take on the mindset as an associate dentist, a few years into working, that I am a ‘business working within a business’, and

that I am the only person who can steer my career pathway early on, especially when moving from NHS to private dentistry.

3) Marketing:

Marketing and branding yourself using social media platforms is essential as a selfemployed individual. Breaking that fear and anxiety of showcasing and promoting your before-and-after work, and highlighting patient testimonials on social media is not only important to demonstrate your skillset as a young dentist but also to boost your reputation and recognition for welcoming new patients. Having been fortunately selected as a finalist for multiple awards in the past including this year’s Dental Awards, it has not only boosted my esteem and confidence as a young dentist, but has encouraged me to keep steering this journey forward for the benefit of my patients’ healthcare and my own ability to provide excellent dentistry. Plus, receiving a shiny plaque to put on the wall for patients to see provides a confidence boost for them, as well as myself.

4) social media

I have found that building an engaging online presence is important. The reason being is that most patients today search online for dentists before booking an appointment. A strong online presence builds trust before they even meet you. Use Instagram, LinkedIn, Facebook or even TikTok to showcase your expertise.

I personally use Instagram for my content. I was always hesitant to post images of my work in fear of being judged by other dentists, but eventually overcame this and told myself to have confidence in the quality of my work and just do it. That mindset has worked in my favour since. Sharing before-and-after cases (with patient consent), posting educational videos about common procedures, and fun moments behind the scenes to make your practice feel welcoming speaks for itself. Be sure to engage with your audience by answering questions, responding to comments and showing that you care.

As well as posting teeth pics, show your patients that you are a normal human being, who has hobbies and interests outside of the office. Obviously, avoid posting images and videos of those nights when you have had one drink too many; no one needs to know about! Instead, keep it fun, professional, interesting and engaging.

5) network and collaborate

Join dental organisations and study clubs to build connections. Attend and speak at conferences to establish authority. Collaborate with other professionals dental (hygienists, orthodontists, oral surgeons, dental nurses, etc.) to expand your reach.

6) Mentoring

Invest in finding suitable mentors who can guide you to towards the correct routes and prevent you from making big mistakes early on in your career. Young dentists face technical challenges, patient anxieties, and the pressure to build confidence quickly.

A good mentor can help bridge the gap between theory and practice, offering support beyond textbooks. Remember, no one succeeds alone. A mentor is someone who has walked the path before you, offering insights that can’t be found in lectures or manuals, but from their own personal experience and journey. I recently completed the yearlong post graduate diploma with Dr Monik Vasant at FreshDental. His expertise and mentorship have shaped the way I perform dentistry, providing a huge confidence boost to my patient cases and clinical workflow. Be open to feedback and remember that constructive criticism is a gift. Use it to improve and don’t take it personally.

7) signature style

As mentioned previously, branding goes beyond online presence; it’s about the experience you offer patients - the signature look and feel you provide on their dental journey. Have a consistent style that is luxury, warm and family friendly, and that suits your preference of clientele. If you’re based in a private practice, design your clinical atmosphere to match your brand, incorporate soothing colors and relaxing music. If working across multiple locations, develop a consistent approach to patient care that makes you memorable. Be that dentist who is known for painless procedures, gentle care, and detailed explanations. Be you! Be funny! Be yourself! Patients will love it and will develop trust and connection with you.

8) Hobbies and interests

Making time for hobbies and other activities to help you feel better and switch off is important to balance your life. Dentistry comes with high levels of stress, repetitive tasks, and emotional pressure. Without proper outlets, burnout can creep in, leading to exhaustion, frustration, and even career dissatisfaction. Hobbies provide an escape from daily stressors. Growing up, fitness and boxing were – and still are – a key discipline and focal point in my life. I train in the gym 6-7 days a week, consisting of weight lifting, boxing and cardiovascular exercise. This, in combination with spending time in the kitchen cooking healthier meals, is an essential daily habit. Hobbies make you relatable and give you something to talk about beyond

dental procedures. Common interests with patients help build trust and rapport, making them more likely to return. Being well-rounded helps with effective communication, making you more engaging and approachable. Hobbies provide a sense of accomplishment outside of work, reducing the risk of career dissatisfaction. Remember, you are not just a dentist. You have a life to enjoy life beyond the clinic.

9) Develop communication skills

Success isn’t just about your technical skills. Believe me, you could be the most mediocre dentist around, but if your patients leave that room with a smile, a feeling of satisfaction and happiness, and you have completed every procedure to the best of your ability, you should feel proud. Providing yourself with sufficient time to complete a treatment plan, especially earlier on in your career, and enough time for clinical notes whilst ensuring your team understands your time schedules, is extremely essential.

I also found earlier on in my career that patients don’t understand complex terminology and dental jargon. Make it understandable for them and don’t over complicate things. Learn to read patient anxiety and reassure them.

And, finally, be a good listener. Patients appreciate being heard. Patients don’t just remember your dentistry; they remember how you made them feel.

10) stay true to yourself

What I’ve learnt on my journey to date, and my best advice to anyone reading this article, is to never be afraid to be yourself! Being yourself in this world and leaving your unique mark in dentistry is what the profession needs. It will only make you grow as a successful clinician.

Life is meant to be experienced. Put yourself out there. Do things you’ve never done. Live a life where, at the end, you will have no regrets. Your brand should grow and evolve with you, but it must always stay authentic to who you are. Patients and colleagues respect sincerity so stay true to yourself. Stay committed to learning and upskilling. Maintain ethical, patient-centered care and never be afraid to ask for advice, help and guidance from other clinicians. Continue engaging with your community to build long-term trust.

The truth is, becoming the dentist you always dreamed of being isn’t about luck; it’s about mindset, effort, and authenticity. So go out into the world and celebrate every small win, every happy patient, every wellplaced filling, and every pain-free root canal. So, that dentist you always dreamed of becoming? That person is already within you. It’s not about waiting for the right moment; it’s about making that moment happen today. n

About the author Riaz sharif practices at mydentist, parkstone Road, poole.

Experience exceptionally lightweight loupes with crystal clear optics, designed and optimised for you.

• Custom Measurements

• Custom Fitting

• Custom Fabrication

For a t as unique as you are.

Discussing realistic outcomes from cosmetic dentistry

Guiding patients through treatment that is needed to improve their oral health, versus treatment the patient wants to improve aesthetics, can sometimes be challenging. If the patient’s expectations are at odds with what is required, how can one ensure the patient’s needs are met, and how can the clinician ensure a shared approach to clinical decision-making?

A thorough case assessment

The key factors to take into account in meeting this challenge are firstly ensuring that there is a very careful and thorough case assessment so that there is a very clear record of the starting point. Patients often have selective memory. Once treatment is underway, they can all too easily forget what the initial position was. To ensure complete understanding of the whole picture, the case assessment should account for various patient factors such as history, motivations, expectations and the goals the patient hopes the treatment will achieve. In addition, the full range of occlusal, biological and structural factors that form the clinical environment against which any treatment will be carried out, and the existing smile and facial characteristics, need to be considered, as these will clearly influence the possible outcomes.

As with treating disease, treatment that is primarily intended to improve aesthetics must be based upon a correct diagnosis of what the issue is if the appropriate options to achieve success are to be correctly identified.

Once treatment options have been identified, it is of critical importance that the patient receives comprehensive information and clear explanations detailing the comparative advantages, disadvantages and costings of each option. It must also be emphasised in all cases where cosmetic treatment is being considered that ‘no treatment’ is always the first option.

In terms of fulfilling the primary ethical duty of doing no harm, whenever there is no disease to address there will inevitably be an inherent risk of doing more harm than good when any intervention is undertaken.

On the subject of risk, it should go without saying that a clinician should not embark upon any procedure unless they have the skills and competence to see it through successfully. It may be worth reflecting on the reality that elective procedures are not about fixing damage but are actually about trying not to damage something that is not broken. You do need to be sure you can do this. If in doubt, an onward referral or second opinion may be the best favour you can do your patient and yourself.

Managing expectations

It is clear that social media has played an increasingly influential role in the promotion of dental services to patients. In the same way it can also be used very effectively to manage the expectations of patients with regards to cosmetic treatments. Building a social media presence for your practice can be a helpful way to promote your services and attract new patients.

However, you must be careful about what you promise; don’t raise unrealistic expectations by showing pictures of perfection in your promotional materials. If they are examples of your own work, fair enough (but remember you need to get the patient’s consent to use images in this way). If you use stock photos for illustrative purposes, then you must be clear about this. Cosmetic treatment involves what is going on in the patient’s head as well as managing the operative clinical aspects. It is therefore necessary to understand where the patient is coming from. An experienced dentist should be able to carry out an intraoral and extra-oral assessment effectively, but it can take a fair bit of additional effort to get inside a patient’s thought processes and understand where they are coming from in terms of what they see as the problem, and what a successful outcome will look like for them. It is only when you understand the problem from the patient’s perspective that you will be able to consider what solutions, if any, can be offered.

treatment, it is worth bearing in mind that patients seeking such treatment are motivated by the primary sensory input of vision. It is all about appearance after all, so it makes sense to use visual aids, images, models, videos, before and after photos, and illustrated information to get the message across.

Remember also that your patients are real human beings, not computer-generated images, so it is wise to use realistic photos of what can be expected rather than images of impossibly perfect teeth radiating from beautifully photogenic faces. And yes, you can use clinical images from your own cases for patient education purposes, but you should of course anonymise these and get the patient’s permission.

Having provided the patient with all the information at your disposal, you need to check they have retained and understood this. As well as a firm grasp of the treatment itself, the patient should be under no illusions about the fees and the timeframe. It is vitally important that the patient has no unanswered questions, so check through the following:

• Does that make sense?

• Would you like more information on this?

• There is a lot to consider, I hope that I have explained this clearly.

• Please do let me know if you have any questions.

You may feel that the problem is obvious but, remember, you are seeing the situation as a dentist. A dentist will understandably default to dentist solutions, and you may be tempted to suggest a way forward that will not address the patient’s problem. So, in terms of diagnosis, it is important to spend time actively listening to what the patient is really saying. Assume nothing; ask questions – what are their goals for their teeth/mouth/ smile? What will success look like?

Are there any alarm bells ringing for you? If the patient expresses the view that, once they have the work done, they will get that job/ partner/career/success in life that they feel they should have, you may need to think twice about embarking on treatment. You may be able to effect some cosmetic improvement but revolutionising someone’s existence is probably not an achievable treatment aim.

The patient may have their own ideas of what the optimum treatment plan is and what the outcome should be, and it is critically important to ensure that this aligns with reality. The important fact to bear in mind with any sort of cosmetic treatment is that even the most technically excellent result can give rise to dissatisfaction if it does not match the patient’s perception of what success should look like. If there is any doubt as to what is expected or whether or not you can reach the end result the patient is expecting, it is advisable not to set out on that journey.

A treating clinician has the advantage of understanding the whole process and what is achievable. The duty exists to ensure the patient shares this understanding whatever the treatment provided, and this is all the more so for elective procedures.

No surprises: obtaining consent It can be helpful to think of the consent process as a means of avoiding surprises. When obtaining consent for cosmetic

We know that people process information in different ways. Providing the patient with a detailed, written, no-jargon description of what has been discussed can be hugely helpful for several reasons.

Firstly, it allows the patient to have ready access to the details of the proposed treatment and allows them to refresh their memory of the discussion and explanations provided. As well as this, there will then be a dated, clear statement of the information provided as a useful addition to the record of the patient journey. Importantly, it can serve as supporting evidence of a consent process being followed.

Given that many cosmetic procedures are elective, there is generally no clinical urgency. Although there may be a patientgenerated impatience to get started, it is advisable to allow a cooling off period to allow the patient to reflect and confirm that they are in fact happy to proceed. Although more of a time commitment, it can be a good investment to give patients the opportunity to have a second consultation if they wish.

Treatment should not start until you are satisfied that both you and the patient are on the same page in terms of where you are headed, how you are going to get there, how long it will take and what it will cost. Do not be tempted to take shortcuts, as it will only lead to more costs, effort and potential disappointment in the long run.

Above all, remember: “first do no harm”. If there is a risk of more harm than good, then ethical sense should prevail over the desire for the elective procedure. 

About the author

X THE FACTOR

AN XTRA POWERFUL TEAM:

Perfectly coordinated products with easy and efficient application for safe and aesthetic results for direct restorations!

BONDING

Universal all-in-one adhesive for all etching techniques

FILLING

Fluoride-releasing composites for multiple indications

POLISHING

Superior finishing and polishing disks

For further information, please contact the SHOFU office 01732 783580 or sales@shofu.co.uk

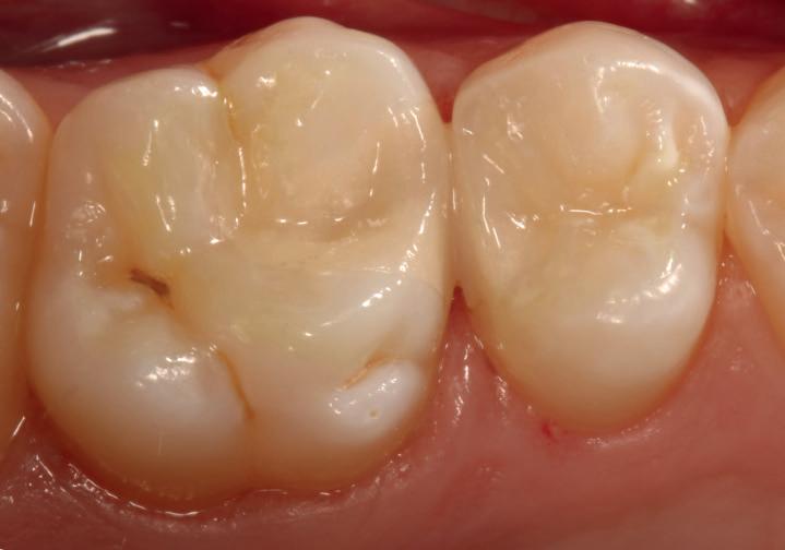
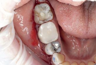
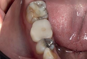
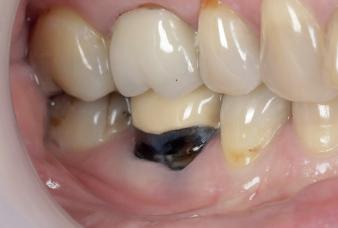
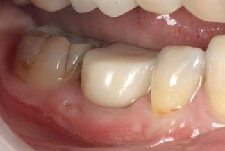
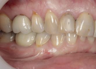
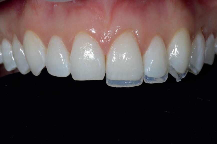
Case 1: Anterior tooth restoration with composite
Case 2: Posterior tooth restoration with composite
Restorations with Beautifil II LS, Beautifil Flow Plus X and OneGloss by Erik-Jan Muts, M.Sc., Netherlands

The sugar trap

We are in the middle of a preventable health crisis – one that is being fuelled not by ignorance, but by environment. Walk into any supermarket, school canteen, or petrol station and you’ll see what I mean: sugar is no longer a treat, it’s a staple. Despite everything we know about its dangers, particularly to teeth, sugar remains cheap, available, aggressively marketed and alarmingly normalised.

Despite all our efforts in public health, tooth decay remains the most common NCD (non-communicable disease) in the UK. A staggering one-in-four five-year-olds in England have visible signs of decay. Among children from the most deprived communities, this rises to nearly one-intwo.1 These children are not just being let down by health services – they are victims of a broader system that makes poor choices the easy ones.

As a charity that has been campaigning on these issues for more than 50 years, the Oral Health Foundation has consistently raised the alarm on sugar. However, today the challenge is not simply one of awareness. The British public knows sugar is bad for teeth. The real problem is that everything around them pushes in the opposite direction – behaviour change isn’t happening because the odds are stacked against it. We must talk honestly about what’s going wrong.

A health crisis born in the supermarket aisle

The government’s data shows that children are still consuming more than twice the recommended amount of free sugars.2 Much of this comes from drinks, snacks and convenience foods that are cheap, heavily marketed and readily available – especially in lower-income households. The so-called ‘sugar tax’ on soft drinks has been a step

in the right direction, but progress beyond that has stalled. Plans to restrict multi-buy offers and ban junk food advertising before the watershed have either been watered down or shelved entirely.

Meanwhile, food labelling remains a minefield. A product marketed as ‘low fat’ can still be loaded with sugar. Packaging aimed at children often features cartoon characters, misleading health claims or deliberately vague ingredients. Although oral health is mentioned in nutritional guidelines, it is not a prominent focus.

Many of these products also contain ‘hidden sugars’ – ingredients like maltose, dextrose, fruit juice concentrate and syrup solids that most people wouldn’t recognise as sugar. This makes it difficult for families to make informed choices. Sugar should be clearly labelled and easy to understand. At present, this is a serious failure of regulation – one that continues to put children’s health at risk.

The result is clear: the nation’s diet is being shaped not by informed choice, but by an obesogenic and cariogenic environment. For oral health, the consequences are brutal.

why we’re still failing the public on diet and decay

oral health voices must be louder

As dental professionals and advocates, we see the impact of poor diet every day –yet our voices are often absent from the broader conversation about food policy. While obesity dominates the headlines, tooth decay quietly devastates lives. It causes pain, sleepless nights, missed school and work days, poor self-esteem and, in the worst cases, emergency hospital visits for extractions under general anaesthetic.

In England alone, more than 40,000 children are admitted to hospital each year for tooth extraction.3 That’s the equivalent of 160 classrooms of children. And yet, oral health still receives a fraction of the public health funding that goes to obesity or mental health. It’s simply not good enough. We must ensure that diet and nutrition strategies put oral health on an equal footing with other health priorities. This means challenging policymakers, as well as working more creatively with those who shape our food culture, including retailers, manufacturers, and advertisers.

Changing the narrative, rebalancing the system

The Oral Health Foundation is calling for a fresh approach to sugar and diet – one that reflects both the scale and complexity of the challenge. We believe that solutions must include:

• Stronger regulation of sugar marketing, especially towards children, including a ban on cartoon mascots and high-sugar foods being positioned as healthy.

• Reform of the Soft Drinks Industry Levy to include milk-based drinks high in added sugars, closing a loophole that currently excludes many sugar-laden beverages from financial disincentives.

• Front-of-pack labelling reform to make sugar content clear, consistent and mandatory.

• National oral health campaigns that

Trained dentists flipping burgers

place diet at the centre – not as a footnote, but as a headline message.

• Support for industry partnerships that promote lower-sugar alternatives and healthy behaviours, such as the responsible promotion of sugar-free gum.

• Greater investment in school-based oral health education, particularly in deprived areas where dietary risk is highest. Ultimately, we must shift responsibility away from individual willpower and toward systemic change. Telling people to “eat less sugar” is not enough when every message, every price point, and every product shelf tells them the opposite.

A shared responsibility

Behaviour change is hard, and it won’t happen without the right environment. As dental professionals, educators, policymakers and advocates, we must work together to reshape that environment. We have a duty to protect the next generation from a lifetime of avoidable oral disease. To do that, we need courage. We need clarity. And most of all, we need to put teeth at the heart of our national conversation on sugar. n

References

1. Public Health England. Oral health survey of five-year-old children 2022.

2. NHS Digital. National Diet and Nutrition Survey, 2020.

3. Hospital Episode Statistics, NHS England, 2023.

About the author Dr nigel Carter oBe is the Chief executive of the oral Health Foundation.

With trained dentists working in fast food outlets and a breaking NHS dentistry due to staff shortages, the solution seems simple

It seems almost unbelievable: fully qualified dentists working in McDonald’s, Subway and other retail roles just to make ends meet. Yet, this is the reality for many overseas-trained professionals.

Many are currently stuck in limbo due to the severe backlog of the Overseas Registration Exam (ORE).

A new report from the Association of Dental Groups (ADG), Creating Dental Oases, presented to MPs at the House of Commons on 18 June, has brought this crisis into sharper focus. The report

outlines how the current bottleneck in the ORE system is not only impacting individual lives and careers but also contributing to the growing crisis in NHS dentistry.

Urgent reform

At a time when practices up and down the country are struggling to recruit, with patients facing months-long waits for NHS appointments, it is both tragic and frustrating that highly qualified professionals are being forced into unrelated jobs while eager to contribute to the UK dental workforce.

This isn’t just about dentists unable to practise. It’s about a broken system that urgently needs reform.

The General Dental Council (GDC) oversees the ORE, which enables overseas-trained dentists to register and work in the UK. However, due to capacity issues, the number of exams held each year is limited. This leaves thousands of dentists stuck in a queue with no clear timeline for entry into the profession.

And while they wait? Many are taking up work in fast food outlets or supermarkets to survive. This is despite holding years of clinical experience, often from reputable institutions abroad.

t he solution isn’t complicated

The GDC, combined with the government, must increase the number of ORE sittings. Expand capacity to process applications more efficiently.

If bureaucracy is holding back progress, then it’s time for policy makers and regulatory bodies to step up and rethink the framework. We can’t afford to waste skilled talent while our dental system faces unprecedented demand.

A dental crisis

The ADG’s report outlines several practical recommendations, including:

• Increasing funding and resource allocation to ORE providers

• Exploring alternative, quality assured routes to registration

• Offering greater transparency and support for overseas applicants This is not only a moral imperative –to allow qualified individuals to do the jobs they trained for – but a practical solution to a workforce shortage that is pushing NHS dentistry to the brink. We have willing, qualified dentists ready to work, patients desperate to be seen, and practices under immense pressure to fill appointments. The fix is right in front of us. We cannot continue to allow red tape to hold back progress. The ORE bottleneck isn’t just a problem for overseas dentists. It’s a crisis for the profession as a whole. Let’s act now to create real change. n

About the author polly Bhambra, practice principal at treetops Dental surgery. Follow her social media channels @pollybhambra

Dealing with a data breach

Marks & Spencer has admitted that customers’ personal information was stolen in a major cyberattack over the Easter weekend, which crippled its online services.

The retail giant is one of several big names to be targeted in recent weeks, alongside the Co-op, Harrods and Dior, but no organisation is too small to escape the attention of opportunistic hackers.

In fact, healthcare systems have long been a fertile hunting ground for attacks because they hold a vast amount of sensitive personal data and are often seen as less secure. In June 2024, for example, a Russian gang was able to publish stolen patient data on the dark web following a ransomware attack on Synnovis, which provides pathology services to the NHS.

The ICO’s data security incident statistics also show that healthcare was among the most common sectors to be affected by cyber incidents, with 229 incidents during 2024 (behind retail, finance and education) and 41 in Q1 2025.

As M&S’s experience shows, the fallout from a cyber-attack can be difficult to contain and can have a huge financial impact.

But while no one would want to be in its position, practices can learn from the retailer’s response in three important respects:

1. It reported the attack to the relevant authorities, including the Information Commissioner’s Office (ICO), the National Cyber Security Centre (NCSC) and the police

If you discover a cyber-incident at your practice, find out how to report it using the Government’s signposting service. The NCSC also encourages organisations to use its incident reporting service to improve its understanding of the “threat landscape.”

In addition, you must report data breaches that are likely to result in a “risk to the rights and freedoms of individuals” within 72 hours of becoming aware of them.

When notifying a breach to the ICO, you will be required to provide information, including:

• The categories and approximate number of individuals concerned

• Categories and approximate number of personal data records concerned

• Name and contact details of the Data Protection Officer or other contact point

• Description of likely consequences of personal data breach

• Description of measures taken or proposed to be taken to deal with personal data breach, including measures to mitigate possible adverse effects

2. It communicated with customers at an early stage about what happened, what it meant for them, and the steps it was taking to protect their data

The GDPR states that you should inform the data subject if a breach is likely to result in a “high risk to their rights and freedoms.” This is a higher threshold than that which triggers a notification to the ICO but you would usually need to inform patients if their records were accidentally disclosed because the sensitivity of the data and the potential for confidential details to become known to others. Contact your dental defence organisation or ask the ICO if you are unsure.

3. It consulted cyber security specialists to help mitigate the damage

If your practice has been targeted it’s essential to get help immediately to mitigate the damage. You can find a list of NCSC assured Cyber Incident Response (CIR) companies on the NCSC website. The NCSC also has advice articles for small and medium organisations on how to deal with cyber attacks such as ransomware or denial of service.

Of course, it’s essential to implement robust information security measures and training to increase your practice’s resilience to cyber-attacks. However, it’s just as important to know how to comply with your data protection obligations and, if the worst happens, to mitigate the harm to patients, your practice’s reputation and the risk of a hefty fine from the ICO. 

Adding value to your dental practice

It is critical for all dental practices to optimise both the clinical and safety standards achieved every single day. When it comes to the latter, investing in high-quality equipment will not only elevate the safety of patients and staff alike, but it will also add value to the services you can provide and enhance the professional workflow. Adopting this equipment is a solid investment in your business that will stand the test of time, if you look after it.

Safety best practice

Washer disinfectors are mandatory for all dental practices in Scotland according to SHTM 01-05 and recommended as part of best practice guidelines by HTM 01-05 in England and Wales. This is because they deliver enhanced safety protocols that optimise the cleaning, disinfection and sterilisation of reusable instruments.

Firstly, the washer disinfector is superior to hand washing because it offers an automated and validated process. With manual cleaning, there are a myriad of variables affecting the quality of each clean, including the type and amount of cleaning solution used, the water temperature, the time spent washing, and the diligence shown by the member of staff performing the task.

A washer disinfector, however, achieves the exact conditions needed for the removal of debris and organic matter every single time – and this can be checked and proven by the equipment. It uses thermal disinfection to increase reproducibility and delivers unbiased reports for reliable records. Ultimately, this leads to higher quality decontamination prior to sterilisation, ensuring that instruments are correctly prepared for the next stage of reprocessing. In addition, the use of a washer disinfector reduces the time staff must spend manually cleaning the instruments, which also lowers the risk of personal injury. Hands-free instrument trays are also available for leading models, which further minimise the chance of needle stick or other percutaneous injury for professionals as they load and unload the machine.

efficiency and productivity

Not only are staff safer, but they also gain time to focus on other aspects of the practice. The minutes spent manually washing instruments soon add up throughout the day – removing this task from their responsibilities allows them to spend more time with patients or setting up the surgery for the next appointment. There is no risk of rushing or skipping steps if a member of the team is particular busy, as they can simply set up the washer disinfector and get on with something else. Leading models can also accommodate up to 360 instruments per cycle – which would take quite some time for a dental nurse or decontamination lead to get through if washing manually! The same solutions offer heavy duty cleaning, disinfection and drying in under an hour for even further efficiency, optimising the value added to your business.

The result is enhanced workflow efficiency, which is nothing but good news for the team, the patient and the practice.

protecting the investment

Having established the benefit of a washer disinfector in the dental practice, it is important to maintain the equipment and protect your investment. There will be various tests and checks that can be completed in-house. Leading equipment providers will show you how to perform these safely and effectively during the postinstallation team training.

It is then vital to ensure that the equipment is serviced by an experienced engineer, who’s specifically trained on the washer disinfector, each year. They will be able to evaluate the machine’s mechanical and technical processes, making any changes and repairs as necessary. Not only will this prolong the operational life and long-term value of the washer disinfector, but it will also minimise the risk of any malfunctions or breakdowns and the inconvenience these can cause to the team, patients and the business.

When you invest in industry-leading solutions like the washer disinfectors from Eschmann, you get access to all of the above and more. The Eschmann Care & Cover package provides servicing and maintenance by specifically trained engineers who are available across the UK. This also includes validation, unlimited breakdown cover, unlimited Eschmann parts and labour, and Enhanced CPD user training.

Ultimately, integrating a washer disinfector into your dental practice will do more than simply improve your safety standards. It will also streamline the professional workflow and add value to your everyday activities by freeing up staff time. With the right equipment and ongoing maintenance, you can reap the rewards for many years to come.

For more information on the highly effective and affordable range of infection control products from Eschmann, please visit www.eschmann.co.uk or call 01903 753322 n

about the author

A greener future with digital workflows

Innovation and exceptional patient care have always been the cornerstone of successful dental practices. In a world that continues to evolve digitally in the pursuit of more convenient service, this is the perfect moment for practices to embrace more efficient workflows. While the benefits of cloud-based practice management systems are often celebrated for improving organisation, their role in advancing environmental sustainability and driving costs down are just as crucial –and frequently overlooked.

Beyond paper reduction: a Greener approach to practice Management

In the UK alone, households discard enough paper each year to account for the loss of six trees. But in dental practices, the impact of paper-based systems goes far beyond deforestation. These traditional methods contribute to higher energy consumption, the need for physical storage space and increased transport requirements – all of which contribute towards inflating the carbon footprint of a practice.

Digital practice management solutions offer an eco-friendly and cost-effective alternative. Cloud-based systems tackle these challenges head-on, delivering a host of environmental and operational benefits, including:

• Reducing energy consumption by eliminating the need for bulky, outdated servers that consume excessive power and require cooling.

• Cutting the need for printing, storing and transporting vast amounts of paperwork, which not only saves trees but also reduces waste and emissions.

• Freeing up valuable physical space in practices and admin areas.

• Minimising travel for document delivery and physical system maintenance.

A recent case study illustrates this transformation. Within just 12 months, a dental practice using a cloud-based solution eliminated the need to print more than 180,000 pieces of paper – saving 18.5 trees, £1,095 in paper costs and £2,822 in printing expenses. This shift from paper to digital represents more than just operational efficiency; it is a tangible step toward reducing environmental impact and lowering unnecessary costs.

a ligning with modern patient expectations

Today’s patients expect seamless digital experiences in every aspect of their lives –from banking to shopping and, of course, healthcare. They want the same digital convenience from their dental providers as they receive from their online shopping experience. By offering online appointment confirmations, electronic forms and cloud-accessible patient records, practices meet these expectations while making the patient journey smoother and more sustainable in return.

Digital workflows enable patients to complete their medical history forms from the comfort of their homes or on in-practice tablets, reducing paperwork and time that can be better spent reviewing oral hygiene advice provided by the practice. Treatment plans and invoices can all be shared electronically, cutting waste and fostering clearer communication between patients and dental teams. It also allows forms to be easily accessed by both patient and clinician for review, without delving into paperwork stored in office spaces. In all, this not only enhances patient satisfaction but also promotes a more sustainable and cleaner way of delivering care.

Smarter workflows & stronger teams

For dental professionals, digital solutions offer speedier access to patient information and more consistent communication within the internal team. Practices operating in the cloud face fewer disruptions from hardware failures and can implement system updates seamlessly. The importance of speed is also seen in the marginal gains throughout the day. Quicker, simpler access to patient information and treatment plans means individuals spend less time in the dental chair, for more efficient appointments – clinicians can in turn see more people throughout the day, supporting a wider community.

Laying the groundwork for net zero

By embracing digital workflows today, dental practices are positioning themselves as leaders in sustainability for tomorrow. Cloud-based systems facilitate easier upgrades, scalability without the burden of physical infrastructure, and integration with emerging technologies that align with net-zero objectives.

Sensei cloud: empowering smarter, more sustainable service When it comes to ensuring reliability, security and efficiency, choosing the right technology partner is paramount. Sensei Cloud from Sensei, the practice and patient management brand of Carestream Dental, empowers dental teams to work more efficiently with a solution they can trust. With secure cloud hosting, intuitive workflows and remote accessibility, Sensei Cloud supports practices in delivering exceptional patient care while also making a positive impact on the environment. Digital practice management solutions offer exceptional benefits to any modern dental practice. From in-house efficiency to greener outcomes, its essential that clinicians consider upgrading to a cloud-based system to make the most of each practice’s potential.

To learn more about how Sensei Cloud can help your practice thrive, visit gosensei.co.uk. For the latest updates, follow us on Facebook and Instagram @carestreamdental.uk. n

about the author

Plan for success

There are many reasons why patients may not attend the dental practice or proceed with recommended treatment. Near, if not at the top, is cost. Some patients may perceive dentistry to be expensive, not understanding the full value of a regular check-up or a proposed procedure. Rather than invest in their oral and general health, they may choose to delay their visit or refuse treatment. Not only is this detrimental to their long-term wellbeing, but it also has a negative impact on the practice. Finding a solution to encourage regular attendance and increase treatment uptake will both enhance the quality of patient care and the consistency of the business’ income.

Patients first

Introducing a dental plan is one such solution. It allows patients to pay a small amount towards their dental care on a regular basis, reducing the impact of payment when a check-up or treatment is due.

The advantages of this are multi-fold. From a financial perspective, it enables individuals to better manage their outgoing, minimising any monetary concerns and encouraging them to maintain regular dental care.

Removal of affordability issues increases access to dental care for many people, in turn supporting improved oral health. This is because they will frequently undergo oral health screenings and receive preventive care, helping them to avoid the development of dental disease or infection.

The continuity of care afforded also facilitates the building of long-term relationships with the dental team. Consequently, patient trust in their dental provider and clinicians specifically will be strengthened. Not only does this provide a better experience for the patient during each visit, but it has also been associated with superior health behaviours and a higher quality of life, as well as greater satisfaction in their healthcare professional.

Business boost

All of the above has just as positive an impact on the dental team and the practice as it does on the patient.

With patients paying monthly premiums, this delivers guaranteed monthly income for improved cashflow. The steady revenue stream is a precursor for business sustainability and predictable growth, ensuring more accurate practice forecasts and enhanced management.

This business development is compounded by enhancing patient loyalty and retention. As they build trust in their clinicians and enjoy positive treatment journeys, they are highly likely to return to the practice for the years ahead. They are also often more inclined to leave positive practice reviews online and recommend the services to friends and family, doing wonders for word-of-mouth marketing. It is well-established that the sharing of personal experiences is an excellent way of attracting new patients. There is also evidence to show that social media may

have a significant influence on people’s decision to choose a dental practice, so having happy patient reviews on different platforms will never be bad for the business! In addition to all this, the implementation of dental plans streamlines daily workflows and frees up time for the dental team. Automatic monthly payments, increased attendance and improved treatment acceptance all reduce the need for administrative staff to spend time sending appointment reminders and treatment plan reviews, or chasing debts. Instead, they can focus on patients in the practice, support the clinical team in their daily routines or work on business aspects to increase performance in different areas.

The right plan for you

With these and more benefits at stake, it’s important that dental practices choose the right dental plan for their patients and their business model. This requires an assessment of typical patient needs, combined with the structure of the plan itself. In particular, you’ll need to consider the types of treatment or care that your

patients would likely need covered in order to make a monthly payment worthwhile and, therefore, appealing for them. You will also want to work with a provider that you can trust to help you effectively design, implement and maintain a dental plan membership. IndepenDent Care Plans (ICP) excels in this area. Not only will the highly experienced Business Development Consultants help you evaluate your business and plan needs, but they will deliver fully customised and practice-branded solutions that you and your patients can maximise on. Big enough to offer comprehensive support but small enough to do so with a personal touch, ICP will be with you every step of the way.

A win for all

Dental plans are more than just a payment solution for a small group of patients. When done right, they increase accessibility, efficiency and affordability of dental care for all, supporting improved oral health and business growth. See how they might give your practice the boost it needs today. For more information and to book a no-obligation consultation, please visit ident.co.uk or call 01463 222 999 

About the author Dr Robert Donald, IndepenDent Care Plans (ICP) Director.

A site for sore eyes

What makes a website worth clicking on? And what makes it good enough to stay on it past the first click?

In the ubiquity of the internet, website design is a crucial part of engagement for all businesses. We are all guilty of opening a website and then clicking back in a matter of seconds purely based on what we see, from holiday sites to restaurants, or clothing brands.

A patient searching ‘cosmetic dental practice’ will have hundreds of options to choose from. Google will also show the nearest practices on a map as well as offering further search suggestions such as ‘near me’, ‘open now’, or the vague ‘top’. With all of these filters and online competition, making your dental practice website attract and maintain the online attention of a patient is essential but challenging.

A powerful visual presence

Today’s world is more visually-driven than ever. Everyone is in such a rush that reading just can’t compete with a good picture or video in the advertising world. The brain absorbs visual information faster and we are more likely to remember it too. Websites only have a few seconds to engage a person but have great flexibility through using videos or multiple images on

the homepage to sustain interest and keep the bounce rate under a respectable 50%.

91% of businesses use videos with 83% suggesting that these should be under 60 seconds. Whether a quick time-lapse tour of the practice, footage of dental treatments in action or an introduction to the team, there is a variety of ways to set the tone and image of your brand with a video, creating a familiarity with the potential patient.

Conveying the key information

Two of the most important pieces of information a dental practice website should highlight is location and contact details. Location plays a major role in the patient’s decision, so knowing where the practice is should be one of the first pieces of information presented to them.

Contact details can be handled in several ways. Some may opt for the AI chat-bot that provides quick answers to frequently asked questions, though some patients, particularly older generations, may prefer something more personable like an easily noticed phone number. You may also consider having a header with ‘book online now’ or other contact options that remain pinned to the top of the page even whilst scrolling, making it instantly accessible. Having links to any social media accounts that the practice has may be more appealing to younger

patients, who can quickly check out content, such as treatment videos, to help with their decision.

Standing out in a competitive field

A dental practice website needs to have broad appeal to maximise the patient intake. Search Engine Optimisation (SEO) is vital for this; it harnesses the key words and phrases of a website to improve visibility in search engine results. Your homepage should therefore feature the basic lingo that patients may search. Monitoring the website metrics on keyword rankings can help determine what needs to be included or not.

In the current economic climate, patients looking for a cosmetic dental treatment will also want to make sure that they will get the best results for what they pay. Reassurance can be provided by incorporating Google reviews into the website. Proof of previous five-star experiences is invaluable in a time where reviews dictate success. In particular, championing reviews that feature names of the dental team can further create familiarity, whilst a mobilefriendly format that allows visitors to swipe through them is also recommended. A personable feel is further generated with a ‘Meet the Team’ section, using images, biographies and maybe fun trivia, such as favourite film or football team, to make online visitors feel a connection.

Working in perfect harmony

Synergy, as defined by the Cambridge Dictionary, is ‘the combined power of a group of things when they are working together that is greater than the total power achieved by each working separately’. When carrying out surgical procedures it is important that you use equipment solutions developed to offer a synergistic approach to your surgical processes. The equipment and instruments used should work in harmony to allow you to provide top quality treatment.

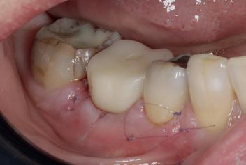
When it comes to synergy in dental implant procedures, such an approach often enables dental professionals to achieve better accuracy during the surgical phase. For instance, guided implant surgery utilises computer-generated surgical guides to enhance the precision of implant placement. By combining 3D imaging technology with specialised surgical instruments, dental clinicians are able to carefully plan the position, angle, and depth of the dental implant prior to the actual surgery. This collaborative effort between advanced imaging software and specialised instruments ensures that the implant is placed precisely in the desired location, leading to better aesthetic outcomes and increased patient satisfaction.

Seamless integration

Another advantage of instrument synergy in dental implant procedures is the reduced risk of surgical complications. Using specially designed surgical instrument and handpieces, allow dentists to ensure that they have everything necessary and readily available during a procedure. This allows the dental team to work efficiently and

effectively. The benefits of using compatible handpieces and equipment ensures that they can be seamlessly integrated into the surgical workflow, further reducing the time required for the procedure.

Seamless integration of instruments in dental implant procedures can also improve patient comfort and reduce recovery time. Advanced technology, such as piezoelectric instruments using ultrasound technology, offers precise and controlled cutting of bone, minimising trauma to the surrounding tissues. This means that patients experience less pain, swelling and bruising post-surgery, leading to a quicker and more comfortable recovery. Additionally, the combined use of specialised instruments, such as tissue punches and implant placement tools, allows for minimally invasive techniques that preserve the integrity of soft tissues. By reducing damage to the surrounding structures, patients experience less post-operative discomfort and achieve quicker healing.

Website wonders

Basic website designs no longer cut it in 2025. To elevate the online presence of your dental practice and attract new patients, the British Academy of Cosmetic Dentistry (BACD) offers its members an unmissable £500 off a website design and build with Digimax Dental. With the support of their dedicated team, BACD members can revitalise their online branding, transforming their website into an impactful page that pushes it to the forefront of SEO rankings, increasing traffic and boosting the business.

A sleek website that emulates the aesthetic and tone of your dental practice can set expectations for potential patients, generating a sense of familiarity and trust that stays with them through to the cosmetic dental treatment and beyond. For further information and enquiries about the British Academy of Cosmetic Dentistry visit www.bacd.com 

About the author

Dr Sam Jethwa is founder of Bespoke Smile Advanced Dentistry & Academy and President Elect at the BACD.

clinical toolkit. Utilising the Piezomed improves procedure outcomes and results for patients as it is gentle on soft tissue ensuring reduced patient discomfort and quicker healing. For those placing implants measurement of osseointegration is ideal as it allows them to monitor the dental implants to inform loading decisions and ensure success. The Osstell Beacon from W&H, gives dental professionals peace of mind as they can measure and evaluate the stability of the implant ensuring full osseointegration, helping to reduce treatment times and avoid rejection in high-risk patients.

Working with equipment and instruments from top quality suppliers like W&H, who offer a highly synergistic approach based on many years of research, development and surgical know-how, allows for the best possible treatment outcomes. The Piezomed provides dental professionals with the benefits of innovative piezosurgery. By using the high-quality system, clinicians can remove only the targeted bone with precision, leaving the surrounding soft tissue and bone undamaged. The Piezomed module integrates seamlessly with the Implantmed Plus surgical unit, this flexibility between the Implantmed with surgical handpieces and the Piezomed creates a superior workflow driven solution for oral surgery, guiding the clinician through the cycle from implementation to evaluation. With W&H’s synergistic approach, which includes the use of the Implantmed, with the range of surgical handpieces, alongside the Piezomed the dentist benefits from an incredibly versatile

Overall, a synergistic solution to dental implant procedures offers numerous advantages that enhance the overall success of these procedures. Patient comfort is improved through the use of advanced instruments that minimise trauma and promote faster healing. With these advantages in mind, it becomes clear that dental implant procedures require wellthought through planning and the correct equipment. This helps to develop a solution which allows the clinician to provide high quality treatment enabling them to deliver patients with effective, efficient, and longlasting solutions for missing teeth.

To find out more visit www.wh.com, call 01727 874990 or email office.uk@wh.com 

About the author

Emerging evidence of the links between the bacteria associated with periodontal disease and cognitive impairment has been a breakthrough in the understanding and potential management of cognitive decline. Increasing evidence has unlocked a greater awareness of some of the specific bacteria involved in Alzheimer’s Disease (AD), the most common form of cognitive impairment, representing 60-70% of all cases. A new study has also revealed some positive effects on brain health associated with a healthy microbiome and the availability of certain chemicals and oral bacteria. In a healthy mouth, there are thousands of distinct microorganisms which colonise specific areas of soft as well as hard tissue. A greater understanding in recent years of these unique oral microenvironments has led to more focused therapies for improving the oral health of patients. Maintaining a diverse oral microbiome is increasingly proven to be key in supporting both oral and systemic health.

Cognitive decline – what is it, and who is most affected?

Cognitive decline is typically associated with ageing, but can affect patients at any point in their life. As well as being associated with periodontal disease, cognitive impairment is linked with hypertension, diabetes, obesity, smoking, alcohol abuse, physical inactivity, social isolation and depression.

Commonly known as dementia, cognitive decline affected 57 million people worldwide in 2021. Every year, there are nearly 10 million new cases reported. Dementia is currently ranked 7th in global causes of death, and is a major worldwide cause of disability. There are estimated to be 982,000 people in the UK living with dementia today. This figure is expected to rise to 1.4 million by 2040.

Women are more likely to be affected by cognitive decline than men. Women experience a longer period of disability due to dementia, and mortality rates are higher. Women also provide the majority of care for people living with dementia.

how oral bacteria is connected to brain health

Although cognitive decline can be caused by a number of different factors, AD is particularly characterised by the accumulation of amyloid- β peptide within plaques in brain tissue, leading to neural cell loss, and disturbances to synaptic function. An apolipoprotein E4 (APOE4) genotype and nitric oxide (NO) deficiency are also major risk factors.

Pathogens linked to periodontal disease, such as Porphyromonas gingivalis, are thought to play a key role, and have been identified as a predictor of mild cognitive impairment, which is known as a precursor of AD.

Cognitive function and the oral microbiome

Other bacteria, such as Fusobacterium nucleatum, a pathogen commonly found in biofilm formation of oral infections, is often present in periodontal diseaseiii and is one of the pathogens that prevents the body from producing NO. F. nucleatum links with obligate anaerobes that are associated with brain abscesses and, along with other bacteria, is implicated in the development of cognitive impairment.

Harmful bacteria associated with periodontal disease can enter the circulatory system via damaged oral tissue, eventually traversing the bloodbrain barrier. As well as directly affecting brain health, inflammation caused by these bacteria is thought to indirectly affect brain tissue and cognitive function. Patients with AD have also been found to possess lower oral bacterial diversity compared with healthy patients. In contrast, better cognitive function has been found in patients with a diverse microbiome, adequate bioavailability of NO, and higher levels of the bacteria groups Neisseria and Haemophilus. The presence of the bacterium Prevotella intermedia has been identified as a predictor of APOE4-carrier status. Therapies that promote oral Neisseria–Haemophilus and prevent Prevotella are thought to have potential for delaying cognitive decline.

oral hygiene a must for overall health

Practising good oral hygiene, eating a healthy diet rich in vegetables to improve the bioavailability of NO, and regularly visiting the dentist for check-ups and hygiene appointments can support patients in maintaining a balanced oral microbiome.

FLEXI interdental brushes from TANDEX are a great tool to recommend to patients to help them maintain excellent oral hygiene. These ergonomically designed brushes come in 11 different sizes to suit every patient, and with the simple addition of pleasant-tasting, non-abrasive PREVENT Gel from TANDEX, patients can benefit from 900 ppm fluoride and 0.12% chlorhexidine for strengthening and antibacterial properties.

As the evidence linking periodontal health to overall health and cognitive function continues to grow, supporting patients with their oral hygiene really can help them achieve a healthier body and mind.

For more information on Tandex’s range of products, visit https://tandex.dk/ Our products are also available from DHB Oral Healthcare https://dhb.co.uk/ n

about the author

Alzheimer’s and dental pain management

Oral health problems can develop for anyone, causing difficulty eating, trouble concentrating, and pain. However, for some people the experience and management of dental issues is more complex. Currently, there are an estimated 982,000 people in the UK living with dementia. As such, it’s important to understand the various ways that patients with dementia may struggle with their oral health, how to recognise patients in pain, and how best to support individuals in treatment and pain management.

oral health and dental pain in dementia patients

Poor oral care is observed in patients with cognitive impairment, due to decreased motor coordination and agitated behaviour making it difficult to perform oral care. Exacerbating this, patients with dementia usually attend dental appointments less often. Around 75% require assistance to perform daily activities like oral hygiene.

Common dental problems amongst dementia patients include caries and gingivitis which are preventable with regular brushing and a healthy diet. Tooth wear and damage, as well as dry mouth are also common, causing sensitivity, pain, and discomfort. Some patients with dentures may also experience pain due to sores, so it is important for ill-fitting dentures to be addressed in order to maintain quality of life.

ability to communicate pain

As dementia worsens over time, the likelihood of a patient being in any type of pain increases. Daily pain is experienced by between 50% to 80% of patients with moderate to severe dementia. However, it can be difficult to ascertain whether patients are affected. This is because Alzheimer’s disease can cause a person to develop a mask-like facial expression, minimising the facial expressions associated with pain. Some patients may also have lost the cognitive ability to communicate their pain – leaving individuals with very few options to alert their caregivers that something is wrong, with negative behaviours like screaming or aggression possible.

As assessment and treatment of pain in dementia patients is challenging due to the difficulty in reporting pain, undiagnosed and untreated pain is thought to affect up to a third of those in the community, and half of those in nursing homes.

Identifying pain and mouth care problems

For some people, dental problems can make it difficult to eat, meaning that, over time, patients will eat less and potentially start to lose weight. For patients with dementia, this may be an indicator to caregivers that there is a problem in the mouth and that they may be in pain. If concerns are raised about this, it’s important for dental professionals to check the patient’s mouth for any signs of disease, infection, or irritation.

Aside from problems eating, there may be a number of other signs for caregivers to look out for as an indicator of dental pain. These include: frequently touching their face, facial swelling, not wearing dentures, restlessness, disturbed sleep, refusing help with dental care, or aggressive behaviour towards their carer. It is important that these symptoms are not dismissed as part of a person’s dementia, as they could be a sign that they are in pain and need help from a dentist.

Supporting patients and managing dental

pain

In order to support patients with dementia in maintaining their oral health, there are a number of recommendations for caregivers. These includes establishing a routine to help ensure the teeth are cleaned twice per day and prevent dental problems developing. Where possible, encourage the person to clean their teeth by themselves, only stepping in if they need help. It is also useful to minimise the amount of sugar the individual consumes, again helping to prevent oral disease.

If patients with dementia do experience oral pain, it’s important for dental professionals to recommend solutions to manage their pain at home whilst they wait for treatment. Orajel™ Dental Gel contains 10% benzocaine, allowing the patient or their carer to apply the local anaesthetic to the painful tooth. Dental professionals can also recommend Orajel™ Extra Strength which contains 20% benzocaine, for the rapid relief of dental pain. Additionally, if patients are suffering with mouth ulcers or denture pain, Orajel™ Mouth Gel is the ultimate soother.

Supporting patients with advanced needs is essential as a dental professional, with conditions like dementia often having a significant impact on a patient’s ability to effectively maintain their own oral health. Dementia patients are at a higher risk of oral disease and undetected pain, so understanding how best to monitor their oral health and manage pain whist they wait for treatment is key for maintaining their quality of life.

For essential information, and to see the full range of Orajel products, please visit https://www.orajel.co.uk/ n

about the author

A clinical perspective of Vitamin D with periodontal health

Dhroov Thanki examines the relevance of Vitamin D in periodontal health

While mechanical plaque control and regular dental maintenance remain the cornerstone of periodontal therapy, emerging evidence highlights the significance of systemic health – particularly micronutrient status – in modulating periodontal disease risk and progression. Among these micronutrients, Vitamin D has garnered increasing attention for its multifactorial role in both skeletal integrity and immunomodulation.

Not just bone health

Vitamin D is a fat-soluble vitamin that plays a key role in calcium and phosphate regulation, both of which are essential for maintaining healthy teeth and bones. Beyond its wellknown role in bone metabolism, Vitamin D also has pleiotropic effects – meaning it affects many different systems in the body. For example, it helps modulate the immune response, supports the integrity of the oral mucosa, and has anti-inflammatory properties; all of which are relevant to periodontal health.

Stable levels of Vitamin D can help reduce inflammation in the gums, support wound healing, and enhance the body’s defence against periodontal pathogens. Therefore, maintaining good Vitamin D levels isn’t just about strong bones; it plays a key role for healthy soft tissues and the mouth as a whole.

Immunomodulatory functions

Periodontal disease is initiated by microbial biofilms but is perpetuated by a dysregulated

host immune response. Vitamin D, via its active form 1,25-dihydroxyvitamin D (calcitriol), interacts with the Vitamin D receptor (VDR) expressed on various immune cells, including T-cells, dendritic cells, and macrophages. These interactions lead to:

• Reduced pro-inflammatory cytokine production (e.g., IL-6, IL-17, TNF-α)

• Increased expression of antiinflammatory mediators such as IL-10

• Stimulation of antimicrobial peptide (AMP) synthesis, notably cathelicidin (LL-37), which is active against periodontal pathogens such as Porphyromonas gingivalis

These mechanisms collectively contribute to a more balanced immune response, limiting both bacterial proliferation and collateral tissue damage.

Clinical evidence linking Vitamin D deficiency and periodontitis

A number of epidemiological and interventional studies support an association between low serum Vitamin D levels and increased prevalence and severity of periodontitis.

• A NHANES analysis found that individuals with low serum Vitamin D levels had significantly higher risk of moderate to severe periodontitis

• Another longitudinal study suggested that adequate Vitamin D levels were associated with reduced periodontal attachment loss and lower risk of tooth loss over time

While causality cannot yet be firmly established, the correlation suggests Vitamin D status may serve as a modifiable risk factor in periodontal disease management.

Guidelines for the UK population

In the UK, limited sun exposure – especially during autumn and winter months – places a significant proportion of the population at risk for Vitamin D insufficiency. The NHS recommends a daily intake of 10 micrograms (400 IU) for adults, particularly during the months when endogenous synthesis via UVB exposure is minimal.

Sources include:

• UVB exposure (10 - 30 minutes, several times per week, depending on skin type)

• Dietary sources: oily fish (e.g., salmon, mackerel), egg yolks, fortified foods

• Oral supplementation, which is often necessary due to limited dietary availability

For patients with known periodontal disease, or in populations at high risk (e.g., elderly, smokers, those with chronic systemic inflammation), it may be prudent to recommend Vitamin D testing and supplementation in collaboration with medical professionals.

Clinical implications

While Vitamin D supplementation is not a substitute for periodontal therapy it may serve as an adjunctive measure in maintaining periodontal health and reducing inflammation. Dental professionals are in a unique position to:

• Educate patients on the systemic implications of nutrient deficiencies

• Advocate for screening in at-risk individuals

• Incorporate Vitamin D discussion into comprehensive periodontal assessments, especially in nonresponsive or recurrent cases

Conclusion

Vitamin D plays a critical yet often overlooked role in supporting periodontal health through its effects on bone metabolism, immune regulation, and antimicrobial defence. As we continue to embrace a more integrative model of oral-systemic health, awareness of Vitamin D’s role could become a component of periodontal risk assessment and patient education.

For clinicians practising in regions with limited sunlight exposure, such as the UK, understanding and addressing Vitamin D status may offer another tool in the prevention and management of periodontal disease. 

References available on request.

About the author

Dhroov Thanki has worked in Leicestershire since qualifying in 2018 and has a special interest in periodontics. He will be completing his MSc in 2026.

“ A big thank you to Rachel and her team. The service has been very professional, helpful and efficient throughout the whole process of buying my practice. I can highly recommend Lily Head Dental Practice Sales who treated me with respect throughout. ”

Adriana Matache, Crescent Dental Practice

Exploring the link between oral health and brain function

Typically, cognitive decline is seen as a normal part of aging, with mild cognitive impairment affecting 15% of older adults. Cognitive impairment is a risk factor for developing dementia or Alzheimer’s disease, and is therefore a large public health concern, requiring the need to understand contributing factors for cognitive decline, and any ways to potentially reduce the risk. As mouth bacteria is thought to be an indicator for future brain health, dental professionals have a key role to play in supporting their patients in maintaining a healthy oral microbiome, preventing oral diseases and protecting their long-term general health.

Bacteria linked to brain function

Periodontitis and edentulism are associated with reduced cognitive function, potentially due to the inflammation and damage caused by pathogenic oral bacteria – such as Porphyromonas gingivalis. A study, led by the University of Exeter, revealed that certain types of bacteria were associated with better memory and attention whereas others were linked with poor brain health and Alzheimer’s disease. The study highlighted that apolipoprotein E4 (APOE4) genotype and nitric oxide (NO) deficiency are risk factors for cognitive decline during ageing. As the oral microbiome has an impact on maintaining NO during this time, the study assessed the interaction between the oral microbiome, NO biomarkers, and cognitive function in order to establish its potential impact.

The study found that individuals who had higher levels of P. gingivalis were more likely to have memory issues, and that those with Prevotella present were linked to the presence of the APOE4 gene, and were therefore at a higher risk for Alzheimer’s disease. Both of these bacteria types are linked to periodontal disease, therefore suggesting that the prevention of oral diseases will in turn reduce the risk of developing cognitive impairment in the future. The study’s findings reveal that the oral microbiome may be a factor that initiates systemic inflammation, ultimately leading to neurological damage that results in Alzheimer’s disease. Further to this, lifestyle and environmental factors that modulate the oral microbiome resulted in variations in the progression of neurodegeneration. Conversely, participants in the study who had higher levels of Neisseria and Haemophilus performed better in cognitive tasks related to memory and attention, with these bacteria related to enhanced oral health. It is important that dental

professionals are aware of this link, and the important role oral health can play in their patients’ long-term cognition. Interventions that promote beneficial bacteria may help delay cognitive decline and, even though oral health is not officially considered a risk factor for dementia and Alzheimer’s disease, clinicians should make the appropriate recommendations for patients with poor oral health or who are at risk for oral diseases such as periodontitis.

taking care of oral health for overall health

In order to assist patients in the prevention of oral diseases, it’s important to offer oral hygiene instructions. The removal of plaque is essential to prevent disease, with plaque scores reduced by 50% following toothbrushing (either with or without the use of a toothpaste). This highlights the key role that mechanical plaque removal plays. However, the use of a toothpaste is essential for the delivery of fluoride –considered to be highly effective in the prevention of caries development. It can be helpful to recommend the appropriate tools for patients to use, in order to ensure they are using high quality oral care products to protect their oral health. A toothpaste should contain an appropriate concentration of fluoride in order to access its enamel strengthening properties.

BioMin® F toothpaste offers advanced protection and lasting effectiveness. Unlike regular toothpastes, it contains 530ppm of fluoride that is slowly released over 12 hours – providing up to six times longer protection. Its unique formulation uses a ground-breaking bioactive glass that bonds to the tooth surface, sealing exposed pathways to the nerves and releasing fluoride ions precisely when needed, especially in the presence of acid from food or drink. This efficient delivery system means less fluoride is needed for superior results. For younger patients, BioMin® F for Kids delivers the same powerful protection in a gentle, child-friendly strawberry flavour.

Oral health throughout life has a significant impact on cognitive health as we age. As such, supporting patients in maintaining their oral health is essential for delaying cognitive decline later in life. Dental professionals play a key role in educating and assisting their patients in the prevention of oral disease, so making specific recommendations tailored for each patient is vital.

For more information about BioMin®, and their innovative range of toothpastes, please visit www.biomin.co.uk, or email marketing@biomin.co.uk.

Calling all dentists! Do you want samples or a practice visit? Speak to our UK dealers, Trycare on 01274 88 55 44 or email: dental@trycare.co.uk, or CTS on 01737 765400 or email: sales@cts-dental.com n

Paediatric prevalence of TMD

Temporomandibular joint disorder (TMD) may be more common in adults, but it also manifests in children. In these crucial, developmental years, impaired jaw function can cause a host of problems for children as they enter adolescence and adulthood, impacting their quality of life.

Child prevalence of TMD is broad, ranging from 6-68%. Unlike simpler ailments – broken bones, headaches, cuts – awareness of TMD will be naturally lower among children due to its more complex aetiology. However, children may present with symptoms that could be jaw-related.

Paediatric TMD patients have identified emotional stress (52% of cases) and clenching and grinding (27.3%) among the most common symptoms of TMD, whilst mastication difficulties and earaches may also be recorded. It should also be noted that, like in adults, TMD is more prevalent in female patients, with 61.5% of child TMD cases being girls.

For dental professionals, being able to identify the causes for TMD in paediatric patients is vital, educating the parents on how best to manage the problem.

Beating bruxism and eliminating emotional stress

Bruxism aggravates the temporomandibular joint (TMJ) and 20-30% of children have reported teeth grinding or clenching, increasing the risk of TMD. Whilst many children grow out of bruxism once the deciduous teeth are lost , tackling the issue minimises TMD symptoms and reduces the risk of tooth wear. Factors of bruxism include a misaligned bite, hyperactivity, and stress and anxiety; whilst occlusal issues cannot be effectively sorted until a child reaches adolescence, addressing stress and anxiety will also improve a child’s quality of life, as well as managing TMD.

High levels of stress can cause constant dental clamping, impacting the circulation in the local muscles and leading to stimulation of the pain receptors. Relieving stress and anxiety for a child can be as difficult as identifying it, as children may not be forthcoming with their feelings or may struggle to verbalise their worries.

Sources of stress in children

Stress and anxiety could stem from events at school, such as struggling in class, not wanting to disappoint academically, and bullying. Domestically, uncertainties over separating parents, moving homes, changing schools or an illness in the family can all weigh heavily on a child.

the child’s tooth grinding. Stress-relief advice should also be given for the parents to pass onto the child; this could include having a stress ball, teaching relaxation techniques and promoting positive thinking.

To check for subconscious bruxism, encouraging parents or siblings to listen out for any clicking or grinding noises whilst asleep is also valuable. If so, paediatric dentists can create a custom mouthguard for the child to wear at night – parents must ensure compliancy with this.

Proactive preparation

Whilst identifying risk factors can help reduce the prevalence of TMD in children, proactive measures can strengthen the jaw and promote mobility. Whilst sweets or chewing gum are ill-advised for those with TMD, chewy foods are excellent for working the masticatory muscles, supporting their growth and function in paediatric patients and keeping the TMJ healthy. However, chewy foods can also be detrimental to oral health, be they dried fruits or fresh bread – particles can stick to the teeth or become lodged in the interdental spaces. As such, moderation is always encouraged with chewy foods.

A first-class solution to help children with TMD is the Paediatric OraStretch Press Rehab System from Total TMJ. A handheld unit designed to stretch the jaw and treat trismus, dysfunction and hypomobility, the device provides a safe and effective way of increasing flexibility and function to the TMJ for all. For patients aged 10 and under, the paediatric is ideal, with its mouthpiece measuring 31mm across. Diligent use of the OraStretch Press that follows the recommend exercises leads to notable improvements in jaw mobility, ensuring that TMD does not impact a child’s life for long. Jaw problems and stress are not just in the realms of adulthood. Raising awareness among patients on the impact that TMD can have on a child means that management steps can be taken to minimise its prevalence, fostering a world where the next generation are conscious and proactive in looking after their oral cavity.

For more details about Total TMJ and the products available, please email info@totaltmj.co.uk n

about the author alec hilton, Ceo at BioMin technologies.

about the author

Dental practitioners should explain the link between such stressful events and bruxism to the child’s accompanying adult, providing an open space for the parent or guardian to discuss any issues that could be increasing

But your recommendation can make a big difference.

Settle only for the best

Oral hygiene routines need leading solutions to deliver high-quality results over time. Patients may have their personal favourite toothbrushes or toothpaste choices, but when it comes to interdental cleaning, not all water flossers are equal. Clinicians should recommend by name, and suggest they try solutions from Waterpik™.

Established as the #1 selling water flosser brand in the world, and approved by the Oral Health Foundation, Waterpik™ is built on a legacy of improving patient care. With a range of solutions, from the beloved Ultra Professional water flosser to the all-new, accessible Cordless Pulse water flosser, there truly is a Waterpik™ water flosser for every individual.

Your first water flosser

For many patients, interdental cleaning is not necessarily an issue of habit formation or convenience as it is a problem with accessibility. The new Waterpik™ Cordless Pulse water flosser is the most affordable Waterpik™ solution yet. The rechargeable, portable unit is suitable for the everyday bathroom or even tucked away for travel. Its easy-to-use pressure control system features a high and low setting, to maximise patient comfort, and removed up to 99.9% of plaque bacteria from the around the teeth in as little as three seconds. This gives patients the greatest opportunity to reduce caries incidence, periodontal disease and bad breath, which can in turn build confidence in their smiles.

The Cordless Pulse water flosser is portable, and has a waterproof design that means it can also be used in the shower, for maximum convenience. For patients that haven’t previously performed interdental cleaning, the Cordless Pulse keeps the routine simple – patients pick their tip (either Precision or Tongue Cleaner) and pressure setting, aim, and clean with a confidence that only Waterpik™ solutions can provide. They no longer have to worry about the size of their interdental brush or how to properly use traditional floss.

advance your care

For patients looking for a solution that can be further tailored to their needs, the Cordless Advanced is a leading water flosser with ultra-quiet operation, a compact design, and three unique pressure settings. It features a magnetic 4-hour rapid charging system, 45 seconds of water capacity, and a 360-degree tip rotation, which means patients can configure its position for ultimate comfort.

Alongside being clinically proven to be 50% more effective than traditional dental floss for improving gum health, the Cordless Advanced actively massages and stimulates gingival tissue to improve circulation and keep the periodontium strong and healthy.

Some of the true brilliance in the Cordless Advanced lies in the water flossing tips, four of which come

alongside the unit. Patients can then choose the tip that suits their needs, from the Precision Tip helping everyday needs, to the Plaque Seeker Tip which helps to remove bacteria and debris from hardto-reach sites around dental restorations. By combining versatility with clinically proven results, it’s no surprise that dental professionals recommend the Cordless Advanced, alongside other Waterpik™ water flossers, to their patients.

think bigger with the Ultra Professional water flosser

For thorough cleans with the greatest range of tips and pressure settings, patients need look no further than the Ultra Professional counter-top water flosser from Waterpik™. Its reservoir capacity of 90+ seconds ensures a non-stop cleaning experience, with 10 settings on the most advanced pressure control system meaning patients can ensure their routine feels just right. For patients with sensitive gums, or who prefer a hard-working water stream, this is the perfect option.

Plus, with the specialised Orthodontic Tip, the Ultra Professional counter-top water flosser is clinically proven to be up to 3x more effective than dental floss for cleaning around braces. When patients are looking to maximise the results of such treatment, clinicians can recommend a brand and a water flosser they know that they can trust.

With 80+ clinical studies backing every solution, Waterpik™ is here to help your patients. Get in touch with the team today to learn more about how you can support at-home oral hygiene routines.

For more information on WaterpikTM water flosser products visit www. waterpik.co.uk. Waterpik TM products are available from Amazon, Costco UK, Argos, Boots and Tesco online and in stores across the UK and Ireland. n

Putting things in perspective

Perspective is what makes us different. Human eyes work differently; some are able to perceive tiny differences in colour whereas others may struggle to differentiate between shades – recall the infamous dress that went viral 10 years ago. But perspective is not just limited to sight; the way we think and act stems from the belief that we are right, yet this can lead to conflict with those who don’t see things as similarly.

For dental practitioners, engaging with and adopting new perspectives can broaden the horizons of your career, increasing your understanding of new techniques, new technologies or thought-processes of your patients. This will allow you to enhance the treatments you deliver and improve the outcomes for your patients.

exposure to the new

It’s easy to slip into predictable routines and to follow a mindset that has proven reliable. Whether this is the morning routine or aspects of the daily workflow, a routine is a safety net that maintains health and reduces stress – ‘an apple a day keeps the doctor away’ is less about eating one type of fruit and more about the consistency of having healthy habits. However, it is also important to break routines; to expose ourselves to new ideas and increase brain productivity. Following repetitive routines can create a deadening effect, switching the brain into autopilot.

A fresh perspective on the daily routine’ can blend the health positives of consistency whilst changing smaller aspects to keep energised. This could be as simple as adding a walk to your lunchtime break or attending a new evening class to learn a skill; small changes to keep a dynamic edge to the week. You could also change the way you interact with patients; asking different questions or endeavouring to know more about them shows that you care and will boost your understanding of their problems or opinions towards treatment types. Reassessing your daily routine and adopting small changes can keeping the workflow free from the monotony that can lower enjoyment.

Professional benefits

Gaining a different perspective in a professional environment can also increase creativity in the workplace. Whilst a practice team unified by similar ideas can generate a comfortable and streamlined workflow, a herd mentality or groupthink may lead to inadequate results and inhibited creativity. Fresh points of view should always be welcome in a practice environment and, whilst adopting a new perspective is important for you to do, you should also encourage and platform the opinions of others to see alternative solutions – help them help you.

With a broader array of different perspectives in the dental practice, including each patient’s, deeper discussions can occur, be that on new technology or furnishings for the practice, or the best treatment to solve a problem. Veering away from predictability may lead to enhanced outcomes for all involved.

eliminating bias

A crucial component of perspective is bias; we are often unaware of it or don’t like to admit its presence. From the news stories you read or the AI software you use, bias is especially prevalent in the online sphere. For dental practitioners, it can manifest in numerous ways; it could be seeking evidence that upholds a pre-existing belief, having a different attitude towards a patient or performing certain treatments without wanting to try a different technique, material or product. These biases are often unconscious, making them hard to pick up on.

Counteracting our biases is done through welcoming new information that challenges our preconceived opinions and notions. Engaging other dental professionals with an open mind can help erode one-sided perspectives, learning both sides of a particular topic of interest for a firmer understanding.

excelling at events

Networking with other dental professionals is an excellent way of engaging with new perspectives. Clover Dental Group has extensive experience with putting on exciting events, offering outings that fuse luxury venues, delicious fun, unique activity opportunities and CPD lectures. The latter are led by first-class speakers who spotlight the key debates in dentistry and the technologies and techniques that you can use to elevate the effectiveness of your treatments. Unmissable events await with Clover Dental Group.

Learning new perspectives is more than slipping on someone else’s shoes – it is an invaluable thought process that solidifies your passion for personal and professional growth. By challenging your preconceived thought processes, or daily workflow routines, you can take your dentistry, and your patients, to the next level of exceptional dental care.

For more information on the events available from Clover Dental Group, please visit the https://cloverdentalfitout.co.uk or call 07961 669996 n

-Ready to use, pre-mixed 2g syringe with 20 x 22G Cannulas

-Fast setting time: 3 to 5 minutes

-High compressive strength

-No discolourations

-High radiopacity

-Wide range of indications

INDICATIONS INDICATIONS

INDICATIONS

Fulfil your 3D printing potential the right way

For many dental practices worldwide, in-house 3D printing is increasingly appealing thanks to the vast number of advantages it affords. When implemented effectively, these include faster treatment times, greater workflow efficiency, improved quality of restorations or appliances, reduced costs and an enhanced patient experience. For any practice owner wanting to invest in their business’ future, 3D printing should certainly be considered. To maximise on your return and fully utilise the potential benefits, several factors should be assessed during the product selection process.

defining demands

The first stage of the process is to really understand your clinical and business needs. This means establishing what you may wish to 3D print, from single unit restorations to implant-retained prostheses, orthodontic appliances to surgical guides. Equipment today is capable of meeting various indications, so it’s crucial to ensure you know what you need it to provide. It is also necessary to calculate the volume of work you anticipate being required of the 3D printer. This might mandate that your equipment can operate at higher speeds or with increased capacity for the manufacture of multiple restorations at once, supporting your fast-paced daily workflows.

Compatibility and integration

To minimise implementation issues, it is crucial that any new equipment purchased is compatible with other solutions within your existing digital workflow. From here, consider where the 3D printer would be located in the practice and how it would fit into the professional sequence to ensure that it can be efficiently integrated from a practical perspective. As part of your market research, you will need to know how simple it is to transfer data between the printer and your existing design software or intraoral scanner. You will also need to be aware of any post-processing requirements, as these must be factored into the team’s workflow as well.

ease of use

At least a small learning curve can be expected when any new technology is introduced to the practice as the team learn the associated skills. Reduction of this curve will facilitate a faster integration time and allow your practice and your patients to start benefiting from 3D printing as quickly as possible. Equipment that offers ease of use and an intuitive user-interface is, therefore, a must. A certain level of automation also

goes a long way to increase productivity, while reducing human intervention for elevated efficiency. Leading manufacturers and suppliers of 3D printers will deliver team training upon installation designed to instil confidence in professionals to use the equipment safely and effectively.

reputation and support

On the subject of equipment manufacturer, who you choose to source your 3D printer from will impact your experience significantly. The reputation of the organisation should be evaluated in detail prior to selecting their equipment, which means speaking to others who have first-hand experience with the company. Initial contact with the sales or technical teams should also be used to assess the quality of everything from the openness of their communication to their integrity, their speed of response, their market knowledge and their attitude to supporting their customers. You need to know you are working with a team that offers good products, but that also knows what they’re talking about and is capable of supporting your business post-purchase. Working with someone like SprintRay ticks all the boxes. They are the only provider of a comprehensive digital ecosystem of digital 3D printing solutions, offering industryleading MDR-compliant equipment and customer service that is second-to-none.

A relationship based on trust

For many principals who have spent years building and maintaining their businesses, the prospect of what comes next can be daunting. Is it time to sell? Who do you sell to? Can you continue practising dentistry? Will you receive a fair price? Whether the next step is imminent for you or still several years away, these are just some of the questions you will need answers to before you can make the right decision for you, your business, your team and your patients.

Indeed, this was a situation that Dr Michael Sultan – principal of EndoCare – found himself in when thinking about the future of his practices, despite not being ready to retire. He reflects on his circumstances and reasons for wanting to make a change:

“Key for me was timing. I didn’t want to leave selling the practice or changing ownership until I was ready to retire, when I might not have the best options available for my business or for me. Instead, I wanted to relinquish some of the ownership responsibilities while I was still happy and healthy enough to really enjoy practising dentistry. This wasn’t a retirement plan, but the start of a longer-term journey that would see the business set up for success for many years to come – without all the management obligations being solely on me.”

“It was important for me to understand how long I was required to remain at the practice and if this aligned with my goals. I also enquired about how much clinical freedom I would have to deliver patient care. The DeNovo team really put me at ease. They reassured me that I could taper my involvement at any time beyond the agreed initial period. I would also retain full clinical autotomy and there was potential to reduce my clinical hours and work in a more management-focused role should I choose at a later date.

Dr Neil Harris, Clinical Director of HRS Dental Care, commented: “I believe SprintRay 3D printers are the best on market – they are designed well and robust. The speed is phenomenal. The service is also very good. In four years with SprintRay, I have contacted customer service twice. I received a call back within 30 minutes both times to talk me through the solution.

the future is becoming the present What was once considered the technology of the future for the majority of dental practices, 3D printing is very much becoming a clinical and business essential. Those already embracing the equipment are reaping the rewards – and so are their patients. The question is not about whether 3D printing belongs in your practice, but which solution is best for you.

For more information on the 3D printing solutions available from SprintRay, please visit https://sprintray.com/en-uk/ n

about the author

ross Phillips, sprintray area Manager UK & Nordics.

With a desire to remain in the practice and continue seeing patients, Michael discovered a new approach to practice sales that utilised a shared ownership model in order to facilitate and incentivise continued growth.

“I was very interested in what was an entirely new concept to me”, Michael comments. “The idea that I could share ownership of the practice, receiving both an upfront payment and the opportunity for further income down the line as both the individual practice and the broader group grew, was hugely appealing. I liked that I could remain working as a clinician seeing my patients, but with the potential to top-up earnings over time based on business performance. It’s the gift that keeps on giving!”

This innovative model may be new to the UK, but it is based on best practices tried and tested around the world. The organisation on a mission to transform the UK dental practice sector is DeNovo Dental Partners, who is offering a refreshing alternative approach to practice sales. Partner dentists receive the majority of their payment upfront, while also taking a minority stake in the parent company. This investment and the shared ownership model create a ‘best of both worlds’ proposition, combining practice autonomy and security with the support and strength of a collective community, driving accelerated practice growth.

Naturally, Michael had some questions that needed addressing when contemplating his options. He shares what some of these were and how he resolved them:

“The DeNovo team have been incredibly helpful throughout, remaining communicative and on my side every step of the way. There have been no surprises in terms of what they promised and what they delivered. The team were a great source of support, which bodes well for the future of our partnership. I have also found the DeNovo team to be decent people – this entire partnership is based on trust.”

Since joining the DeNovo group, there has been very little change within daily practice for the team. Michael adds:

“The new partnership has had a very light touch on the practice so there haven’t been any real changes. If I hadn’t told the team about the transition, they probably wouldn’t have even noticed. The staff have been happy to hear that I will remain at the practice for a few years and that it will be pretty much business as usual.”

Looking ahead, Michael shares what he envisions for his business and his partnership with DeNovo:

“We expect the business to grow in the coming years thanks to the DeNovo partnership, which will afford greater networking and teamwork opportunities that could be phenomenal. Though it’s still early days, we are incredibly enthusiastic about the model – it’s a very positive concept that could inspire dentists to sell at just the right time for them, allowing them to continue working in a very supportive environment.”

Want to know more? Contact DeNovo today to find out what the future for you, your practice and your team could look like.

Find out if DeNovo is right for your practice’s future by visiting www.denovo.partners today n

SAVE THE DATE

24-25/10/2025

Explore the latest breakthroughs in synthetic bone grafting and dental regeneration at this unmissable two-day event.

Join leading clinicians and researchers for:

• Expert talks on cutting-edge regenerative techniques

• Live demonstrations of EthOss® in action

• Interactive discussions and peer networking

• A free 0.5cc box of EthOss® for every attendee

Advance your clinical practice and be part of the future of implantology

Dr Peter Fairbairn
Dr Michael Tang
Dr Victoria Sampson
Dr Stuart Campbell
Prof. Dr Armin Nedjat
Dr Jakub Batycki
Dr Stuart Kilner
Dr Karol Badeja
Dr Paolo Savadori
Prof. Dr Wei Cheong Ngeow

Back to the glide path

The endodontic glide path is a smooth radicular passage from the coronal orifice of the root canal to its physiological terminus. Creating a consistent glide path reduces the incidence of biomechanical preparation failures, such as canal transportation or ledge formation. Among other advantages, it reduces the need for a pecking motion to achieve working length. Glide paths also reduce immediate postoperative pain and improve cutting ability.

The glide path is now considered to be an essential foundation for successful endodontic treatment, however, methods and instrument choices considered optimal may vary from case to case, or clinician to clinician.

Since the introduction of the Nickel Titanium (Ni-Ti) alloy in endodontics, there have been significant advancements in root canal instrumentation. Properly establishing a glide path can extend the lifespan of these instruments, as well as optimise the endodontic procedure. A well-executed glide path enhances the quality of chemo-mechanical debridement, and ensures complete obturation. While the use of manual instruments in canal shaping is still an important skill, options available for the mechanical preparation of a glide path are now increasingly predictable.

A brief history

When they were developed over thirty years ago, Ni-Ti rotary instruments revolutionised shaping procedures by both preparing a well-tapered preparation and reducing fatigue. They have a lower modulus of

elasticity than stainless steel files, and exert less force on dentinal walls in curved canals. However, there was a concern about the taper lock effect in narrow canals, leading to procedural risks, such as ledge formation, perforation or file separation. The glide path came about to reduce the risk of cyclic flexural fatigue or torsional failure.

Cyclic fatigue occurs when an instrument experiences repeated tension and compression cycles as it rotates and meets resistance within the narrow space of the root canal. Torsional failure occurs when the tip or body of a file becomes locked in the canal while the shank continues to rotate. When the torque applied by the handpiece surpasses the elastic limit of the metal, the file will inevitably fracture.

Initially, it was advocated that a safe glide path was only achievable through the manual use of a K-file. However, rotary Ni-Ti instruments have evolved to reduce the risk of these complications. While both methods offer a number of advantages when creating a glide path, both can present disadvantages, without appropriate consideration of materials and methods.

Advantages and disadvantages of manual versus rotary glide path preparation

The use of manual K-files is still widespread for a number of good reasons. Some clinicians prefer them over rotary instruments due to the cues offered by direct tactile contact. Small-sized precurved K-files can effectively register any

possible multiplanar curvatures within the root canal system, and the clinician can use touch to help with pathfinding, navigating calcifications and obstructions.

However, especially in complex cases, the operator must apply consistent pressure for extended periods, which over time can contribute to repetitive strain. Forceful pinching, associated with many dental procedures, can lead to work-related musculoskeletal disorders. Additionally, manual files are associated with more alterations to the root morphology than Ni-Ti rotary instruments.

There is evidence that as well as enabling the preservation of more dental tissue, there is also a lower risk of iatrogenic mishaps when using Ni-Ti rotary files. Preparing a glide path with NiTi rotary instruments additionally reduces the risk of operator fatigue. With ample irrigation, the majority of the latest NiTi rotary instruments extrudes less debris into the periapical tissues through the apical foramen compared to manual stainless steel K-files. This is thought to be a key reason that patients report less postoperative discomfort when rotary files have been used to create a glide path.

Optimising the advantages of NiTi rotary instruments

To harness their advantages, reducing the risk of fracture associated with rotary instruments has been the goal of manufacturers, and material science has evolved to enable engineers to enhance their flexibility and resistance to stress, while also ensuring they are more durable.

Bad day to be bacteria

The morning routine is different for everyone, but consistency with the basics – breakfast, making the bed, cleaning, washing – sets each person up for a productive day, driven by a positive attitude. This routine can boost selfesteem and mental health by promoting self-care and wellness; values that reduce anxiety, lower stress, improve concentration, increase happiness and energise the body.

Oral care is a key tenet of the daily routine and can supplement these values. Beginning each morning with a fresh feeling can make patients ready for the day ahead, flashing a clean, bright smile that boosts self-confidence. The correlation between self-esteem and productivity is high, and this could begin with something as simple as a consistent and effective oral hygiene routine.

A reliable oral hygiene companion

A healthy body needs a healthy mouth, and Curaden’s extensive range of Curaprox products are designed to help patients achieve an optimal standard in their oral hygiene, one that guards against caries and periodontitis without compromising on aesthetics, function and patient comfort.

For instance, the CS 5460 is a deceptively simple, traditional toothbrush

that offers excellent cleaning power. Its brush head contains 5,460 denselypacked Curen filaments that remove trapped food debris and harmful bacteria with ease, whilst also providing a gentle experience. Available in 12 different handle colours, each with three brush head colour options, the toothbrush’s slightly angled head maximises tooth surface coverage and the octagonal handle means patients hold the brush at the correct angle.

For even greater results in oral prophylaxis, the CS 12460 Velvet has more than double the number of bristles. Sensationally gentle on the teeth and gingivae, the density of the filaments supports an advanced brushing level that yields superb results. Starting and finishing each day using the CS 12460 Velvet will leave patients feeling confident with their smile, empowering them to continue harnessing the comfortable but comprehensive cleaning power of the brush.

Flavour of the week

The only thing better than an effective toothbrush is an effective toothbrush supported by a reliable toothpaste. The

The HyFlex EDM OGSF file sequence from COLTENE is an excellent solution for mechanically opening the canal, and then creating an optimal glide path. The sequence is completed with appropriate files to shape and finish the process easily and predictably. Durability and stress-resistance is enhanced through the innovative Electric Discharge Machining (EDM) manufacturing process. HyFlex files are manufactured from nickel-titanium alloy with Controlled Memory (CM) heat treatment.

Preparing a perfect glide path should be a tailored treatment that benefits the clinical outcome, the comfort and safety of the patient, as well as the health and wellbeing of the clinician. It is in everyone’s interests that the materials and methods used achieve these goals.

For more information, visit https://colteneuk.com/hyflex-edm-ogsf, email info.uk@coltene.com or call 0800 254 5115. 

About the author Nicolas Coomber, COLTENE National Account & Marketing Manager.

Curaprox range of Be You toothpastes is available in six exotic flavours:

• Apple and Aloe

• Gin and Tonic

• Watermelonn

• Blackberry

• Peach

• Grapefruit

Their popping packaging colours and diversity in taste energises the daily dental care routine, whilst still causing lasting freshness due to included menthol pearls.

As well as its reliable fluoride content, each Be You toothpaste has whitening powers because of the hydroxylapatite and glucose oxidase in its unique formula. Also included are extracts of echinacea, bitter orange, devil’s claw and Indian pennywort to support the mucus membranes and help stop inflammation. Be You doesn’t just keep the teeth clean – it protects the oral cavity for an all-round healthier body.

Thorough like no other

To promote interdental cleaning as an essential part of the daily self-care routine, Curaprox presents the Super Duo pack. This combines the CS 5460 toothbrush

with two CPS interdental brushes, encouraging patients to access and clean the tooth surfaces that a traditional brush cannot. A single in-and-out motion with a CPS brush will sufficiently clear the space of harmful food particles and bacteria, preventing gingivitis and halitosis.

For optimal handling, the Super Duo pack contains a UHS 425 Duo brush holder; this allows patients to alternate between CPS sizes quickly, keeping the oral hygiene routine simple but effective. For those who may struggle reaching the posterior interdental spaces, the CPS Prime Start packs come with a longer, angled interdental brush holder, allowing patients to more comfortably reach the distant areas and ensuring the teeth are as clean as can be.

Using the innovative Curaprox products on a daily basis empowers patients to take control of their oral hygiene; to start each day with the confidence that their teeth and gingivae are properly protected against oral disease.

To arrange a Practice Educational Meeting with your Curaden Development Manager please email us on sales@curaden.co.uk

For more information, please visit curaprox.co.uk and curaden.co.uk 

15 YEARS OF DENTAL PRACTICE SALES

Now we’re trusted across the UK market.

We started Dental Elite with no investors, no brand - just belief and a ridiculous amount of energy.

That moment stuck.

Because that’s when I knew we’d built something real.

I still remember the first time someone called us 'the go-to brokers'.

Dental Elite started with a simple idea: the dental industry deserved a brokerage that understood people as well as numbers.

From recruitment to sales, finance to valuationswe’ve helped thousands of dentists make some of the biggest decisions of their careers.

What began at a kitchen table is now one of the UK’s leading dental agencies.

Still independent. Still personal.

Still getting deals done.

Explore the 15 for 15 anniversary series: dentalelite.co.uk/15

For a FREE valuation of your practice get in touch.

Autogenic bone grafts – enhancing outcomes

Bone grafting is widely used to treat a range of bone defects in oral and maxillofacial surgery. The choice of grafting material, source and treatment methods depend on factors such as tissue viability, size, shape and defect volume. Among the options available, autogenic bone block grafts, harvested from the patient’s own body, are considered the gold standard for predictable repair of bone defects.

Autografts are most commonly used to increase bone volume in the jaw before placing dental implants, but are also widely used in the repair of congenital or acquired jaw defects, in cases of trauma or tumourrelated bone loss, and for a number of other oral health conditions.

Autologous bone used for grafting in craniofacial surgery can be sourced from various sites in the body depending on the clinical requirement and patient-specific factors. Free non-vascularised bone grafts are often taken from sites such as the iliac crest, ribs, cranial vault, clavicle, or tibia. Within the oral cavity, commonly used intraoral donor sites include the zygomatic bone, mandibular ramus, and mandibular symphysis.

The palatal bone is increasingly accepted as a predictable donor site, especially for maxillary bone augmentation in cases of atrophic defects. Several studies have indicated that harvesting from the palate carries fewer risks compared to other intraoral sites, making it a favourable option in selected cases. Autogenous tooth grafts have recently shown some promising results in both block and powdered form.

Some of the pros and cons of different grafting techniques

Bone grafts are commonly required in various dental procedures such as dental implants, ridge augmentation, sinus lifts, socket preservation, and periodontal surgeries. A wide variety of materials are used for these procedures, all of which come with associated risks and benefits.

Synthetic options, including calcium phosphate-based ceramics such as hydroxyapatite, are frequently used because their composition closely resembles that of natural bone. However, these materials are limited in their ability to stimulate new bone growth.

Allografts are carefully selected, and although these can be advantageous in regenerative treatments, there is a high processing cost, and concerns still exist about the risk of disease transmission. Xenografts are widely used in dentistry, and can be effective in combination with other materials, including autologous bone. These products are highly processed to remove any risk of contamination. However, where organic components are completely removed for safety, their efficacy has been called into question.

Autografts offer a number of advantages over alternatives, such as xenografts, allografts and synthetic substitutes. The material is inherently biocompatible, and provides living cells that more predictably promote new bone formation.

Autografts: risks and possible complications

Despite their benefits, autologous grafts are not

without drawbacks. The procedure requires a second surgical site, increasing the complexity of the operation and extending recovery time. Additionally, the quantity and quality of the donor’s bone may be insufficient, particularly in older patients or those with metabolic conditions such as osteoporosis or diabetes. Complications associated with the mandibular ramus harvesting include nerve damage, pain, swelling, and postoperative bleeding. Harvesting cortical bone while avoiding exposure of the bone marrow can significantly reduce complications. However, due to the complex curvature of the mandible, achieving this precision can be technically challenging.

Piezosurgery revolutionising bone surgery

Recent advancements in surgical technology have significantly improved the safety and precision of autologous bone harvesting. Because of its unique ability to efficiently and precisely cut bone while not affecting surrounding soft tissue, piezosurgery is widely used to harvest autologous intraoral block bone for grafting. This technique reduces surgical trauma, minimises postoperative discomfort, and promotes faster healing. In addition, the cavitation effect generated during piezosurgery contributes to improved visibility by reducing intraoperative bleeding.

An example of this innovation is the Piezomed system from W&H. This advanced surgical motor harnesses the power of ultrasonic technology, automatically recognising instruments and adjusting to the appropriate power level for optimal performance. Designed for seamless

integration and flexibility, Piezomed allows clinicians to control all essential functions with a single foot pedal, ensuring efficient and precise surgical execution. The system remains digitally up to date, reflecting W&H’s commitment to continually evolving surgical solutions.

Despite the availability of alternative graft materials, autografts remain the gold standard for treating bone defects due to their superior osteogenic potential. By minimising trauma to the donor site, piezosurgery significantly reduces many of the traditional risks associated with autologous grafting, reinforcing its role as a valuable tool in contemporary oral and maxillofacial surgery. To find out more about the full range from W&H, visit www.wh.com/en_uk, call 01727 874990 or email office.uk@wh.com 

Fluoride and sensitivity: an interconnected relationship

Afresh scoop of ice cream, an ice-cold glass of water, or an early morning coffee – dental hypersensitivity can put a dampener on many of the small pleasures in life. Patients may come to the practice with complaints of how sensitive teeth affect their day, from significant and persistent pain, down to discomfort in the smallest moments. It’s the responsibility of the clinician to formulate a treatment plan that can support each individual.

Dentinal hypersensitivity is experienced as a sharp, short pain, described in the literature as a chronic condition with acute episodes. It occurs as the open dentinal tubules are exposed in the dentition, inviting stimuli to overwhelm and cause discomfort.

Amongst the available solutions for care, fluoride application has been discussed as a possible aid for affected patients. Clinicians must first understand its role in the treatment of dentinal hypersensitivity, and recognise when it may be most effective. With this knowledge, treatment plans can be tailored for successful outcomes and healthier smiles.

Beneath the surface

Exposed dentine is not sufficient for hypersensitivity, because stimuli need access to the dentinal tubules too. Recession – and subsequent exposure

of the dentine and dentinal tubules – at the gingival margin can be brought on by abrasive toothbrushing; erosion of the supragingival surfaces could be caused by excessive acids and sugar intake, or bruxism, and even some periodontal procedures such as periodontal surgery, periodontal pocket scaling, and root planing. Tooth whitening has also been linked to increased sensitivity at the time of treatment, and in the following days.

There are so many possible diagnoses that result in tooth sensitivity being a leading or significant symptom. This can complicate the identification of the problem’s source. Speaking to the patient about their previous oral health history, oral hygiene routines and recent difficulties relating to sensitivity may narrow down the cause, which can better inform a treatment plan.

Fluoride treatment can be effective in multiple circumstances. It leads to reparative dentine formation through the formation of insoluble calcium fluoride precipitate. The use of a fluoride varnish can effectively occlude and seal exposed dentinal tubules, and the addition of bioactive glasses, such as sodium, calcium phosphosilicate and calcium phosphate, help to form apatite hydroxycarbonate on the dentine surface. This further aids the occlusion of the dentinal tubules.

It’s important to recognise that fluoride treatment should be used not only as a reactive treatment solution, but as a preventative one too – and even more essential is to ensure that patients know this.

As part of wider care

Fluoride treatments may be recommended to patients alongside other treatments, especially if the care they are due to receive is linked with hypersensitivity. Patients undergoing tooth whitening have, as mentioned, reported sensitivity and discomfort during care and afterwards. Studies have reported the greatest increases in sensitivity when using whitening agents containing high levels of hydrogen peroxide. Such treatment could take pain from mild to moderate in the space of a day.

Many solutions now include fluoride within whitening products to minimise sensitivity, but additional support may be needed in some circumstances. Fluoride application in the practice could be an effective additional treatment both before and after whitening treatment. When looking at other solutions for cosmetic outcomes, fluoride treatment once again can be an excellent addition. Microabrasion is a safe, conservative aesthetic procedure for managing superficial enamel stains or defects. In the literature, fluoride therapy is recommended in addition to promote remineralisation, showing the wide impacts it may have in cosmetic focused care.

Effective solutions

Fluoride treatments allow dental professionals to identify issues before they develop further, but also ensure that their patients are accessing high-quality care. This can prevent many individuals developing hypersensitivity throughout the dentition, for happier and healthier lives. Choosing effective fluoride applications for your patients is key. The 3M™ Clinpro™ Clear Fluoride Treatment is a professional solution from Solventum, formerly 3M Health Care, that helps you and your patients build a strong foundation for healthy smiles –together. The water-based, rosin-free formula is simple to apply and provides protection to enamel and dentine surfaces. A ready-release formula enables effective fluoride uptake with a minimum contact time of just 15 minutes and utilises innovative calcium phosphate technology, which can help you better support your patients today.

Fluoride is a key tool in the fight against dental hypersensitivity. Topical application can be appropriate for many patients, especially those who have undergone cosmetic care such as tooth whitening and microbrasion treatment. Clinicians are well placed to provide support with solutions that they can rely upon.

To learn more about Solventum, please visit solventum.com/en-gb/home/oral-care/ For more updates on trends, information and events follow us on Instagram at @solventumdentalUK and @solventumorthodonticsemea

How does dental regulation need to change?

What does the future of regulation look like for the dental profession? In a recent ‘In the Loupe’ podcast, Practice Plan Director, nigel Jones, discussed this topic and much more with Dental Legal Advisor and former Head of Dental at MDDUS, Stephen Henderson. Here’s a brief extract of their conversation

n igel Jones ( n J): We’re obviously under a Labour government now, and they seem to be taking a slightly different approach to regulation, and I get the sense that changes are in the air.

What’s your take on the current situation with the regulation of the dental profession in the UK?

Stephen Henderson (SH): It’s plain that the Department of Health, who will be the driver of any change in regulatory law, is interested in dealing with the big professions. So, the GMC and the Nursing and Midwifery Council are really at the front of the queue for reform of their Acts.

The GDC is relatively far back in the queue, and it’s quite well known within the GDC that they’re unlikely to get anything done in this Parliament because of the length of time it takes to deal with the reform of the Dentists Act.

There are some reforms that need to be made. There need to be some changes made and one major one for me would be to look at corporates and to see if the GDC can regulate them rather than just dealing with individuals.

I also think the fitness to practise (FTP) procedure needs to be tidied up, but the basic process isn’t going to change even if the Dentists Act is reformed.

nJ: It’s very interesting you should mention corporates because I read an article about the veterinary world and the concerns regarding the pressures being put on vets to generate income. What do you see as the main points that need to be thought about when approaching the regulation of corporates?

SH: Corporate dentistry is delivered for the benefit of the public as well as the shareholders. But the change should be that the GDC can control how the corporate acts, as opposed to how the Clinical Director or the individual practitioners within a corporate act.

I see it a lot when I’m talking to dentists and helping people with complaints. The pressures they get from managers to upsell, or to deliver a certain volume of UDAs in England and Wales is significant. Invariably this pressure is placed on the younger practitioners or ones who have come to the UK to work and are not so familiar with the NHS.

Managers seem to have a disproportionate influence, and people are fearful of losing their jobs, so they do what the manager asks. Sometimes that may be contrary to the ethical principles that the GDC wants us to operate under.

So, looking at the veterinary, opticians and pharmacy worlds there are going to be lots of examples of how you can regulate corporates. By thinking broader and looking at other examples, the GDC could sensibly develop a system that works for the public. Because that’s really what it’s about. They have to work to protect the public.

n J: That’s interesting because I remember some years ago a quote from the Federation of London LDCs about

to listen to the podcast in full visit practiceplan.co.uk/podcasts/changing-regulations-in-dentistry-with-stephen-henderson/

needing to achieve the gold standards of the GDC on the tin-plated NHS budget made available. So, there is a sense of tension between the activity requirements of an NHS contract in England and Wales and achieving the standard set by the GDC, and adhering to the ethical principles you were just mentioning.

If you then throw a corporate entity into the midst of that as well, that is potentially having to cope with rising costs and lack of workforce availability, it’s quite a challenging economic environment for a corporate. So, managing that tension between the standards and the activity and income generation must be quite tough.

SH: Absolutely, it’s a big challenge for anyone who owns a practice, whether you’re an individual, very small practice or whether you’re a corporate the size of mydentist or Portman Dentex, for example. Those are big ventures with huge budgets and, inevitably, they want to make them as profitable as they can, and certainly not loss making.

So, I can understand the pressures to upsell cosmetic dentistry, aligner treatments and so on. It’s about how you manage that tension and yet still maintain an ethical approach. I’m not suggesting it’s easy at all, and I have sympathy with the corporates because they’re such big organisations, so I don’t know how on Earth they recruit, retain and motivate their teams. Plainly, they’re very good at it because quite a lot of dentists are happy working for the same corporate for a long time.

Maybe it’s a function of managing individual managers. Time will tell. The GDC would have to look deeply at the patterns of complaints and feedback, and carry out a root cause analysis to see what the problem is. I don’t suppose many of these really come to the attention of the local NHS team. Unless patients start complaining through the NHS complaints procedure to the local teams, they’re not going to find out about it too much.

Maybe I have a different view because I only ever see the bad news stories. Nobody rings me to say they’ve had a good day. So, I recognise that I see a very skewed situation really. So, compared to the dental advisor within an NHS team or the inspectors who are seeing good practice all the time, maybe it’s inevitable I see the doom and gloom. Which is a shame, but it is also very real. It’s like anything: if you can fix the small problems before they get big, there’ll be fewer big problems.

nJ: You touched on something there which made me think about overseas dentists. We know we have a workforce crisis. Yes, there’s been the NHS Long Term Workforce plan, but that seems to have some flaws in its methodology and calculations. However, even if that went according to plan, it’s still going to be well into the next decade before it has a major impact, whether that’s through skill mix, hygienists/therapists or dentists. So, the overseas dentist seems to be the answer that a lot of people are looking towards.

That still leaves the GDC with a challenge. While it would be helpful to have an increased workforce, they can’t risk standards in the process of trying to bring people over.

SH: Yes. The GDC’s job is very simple. It’s to ensure that anyone joining the register is good to go. That they’ll be a safe beginner. That they’ve had an appropriate education, and they’re competent to do dentistry in the UK.

That’s done by following the university curriculum, passing the exam and then you register followed by foundation training. International students either come from Europe or have to complete the Overseas Registration Exam (ORE). Now, the ORE is very good for testing competencies, but it doesn’t help anyone understand how the NHS operates.

The GDC can register as many overseas dentists as it likes who are

competent to get on the register, but they won’t get a performer number until they’ve satisfied NHS England that, not only are they competent in delivering dentistry, but they’re also competent in understanding NHS administration, processes and contracts.

As Ian Brack, the former Chief Exec at the GDC, said, ‘That’s not our problem. Our problem is to register dentists and dental care professionals.’

The problem often is how quickly can you get somebody onto the performers list. By assessment that can take six weeks, a year, could take longer before somebody’s given a performer number. So, yes, you can register international dentists, but they won’t immediately be available to deliver NHS care because they must satisfy the NHS.

With all the reform of NHS England, I’m not sure how that will impact local teams. For the commissioning groups and commissioning teams managing the performers list that function must continue. It’ll just be called something else and managed by somebody else.

Maybe there’s an opportunity to look at how rigorous that performers list process is. I suspect what they don’t want to do is give performers list numbers out without validating people’s competencies.

nJ: Some interesting food for thought there. Thank you, Stephen.

This year, Practice Plan celebrates 30 years of welcoming practices into the family, helping them to grow profitable businesses through the introduction of practice-branded membership plans. So, if you’re looking to switch provider or are considering a full or partial move away from the NHS and would like a provider who will hold your hand through the process whilst moving at a pace that’s right for you, why not start the conversation with Practice Plan, on 01691 684165, or for more information visit the Practice Plan website: https://www.practiceplan.co.uk n

Immediate placement and loading of a molar tooth

r Nick

presents an immediate implant case using an innovative new implant from BioHorizons Camlog in a molar site

Introduction

With the increasing acceptability of immediate implant placement, many clinicians are using the technique in a wider range of cases. As such, there is a growing body of evidence that shows the success of immediacy in the posterior region of the mouth. For example, research has shown immediate implant placement to deliver predictable results in molar extraction sockets, including high survival and success rates with minimal bone loss reported.

The following case shows how success with molar implants can be optimised using a fully digital workflow.

Patient presentation

The patient was referred to the practice following failed apical surgery on the LR6. She was in need of an extraction and potential replacement with a dental implant. The patient was keen to understand her restorative options. A full medical and dental history revealed an allergy to penicillin and the patient was on HRT. She was a non-smoker, drank no alcohol, and presented with a low anxiety score. She was a regular attender at her normal dental practice and had some existing crowns and composite bonding. With regards to oral hygiene, she reported brushing twice daily, interdental cleaning occasionally and had a BPE score of 111/301. In addition to the failed root canal on the LR6, a soft tissue deficiency was recorded in the area.

The treatment options were discussed with the patient in detail. As she sought a fixed solution, a dental implantretained crown was decided on as her best option. Information on the

benefits, limitations and risks was presented and she provided informed consent to proceed.

treatment planning

A full suite of clinical photographs and radiographs were taken to assess the bone level and soft tissue health.

A prosthetically-driven approach was used to determine the ideal implant position, angle and depth using the digital software. While the bone was deemed sufficient to ensure primary stability, the digital mock-up showed that a soft tissue graft was indicated at the site to treat the existing gingival defect and improve the post-operative gingival phenotype.

Continuing the digital workflow, guided surgery would be utilised for this case to ensure optimal accuracy and minimal complications. The necessary scans were used to fabricate the surgical guides and to transfer the planning to the surgical navigation software.

s urgical treatment

On the day of surgery, the area was numbed with anaesthesia and a flap was raised. The LR6 was extracted with an atraumatic surgical approach –the tooth was sectioned and removed in two parts. Thorough debridement of the extraction site was performed, which included a three-minute application of chlorine dioxide gel to disinfect the socket.

The osteotomy was performed using a combination of a static guide and surgical navigation. Slow drilling of <50 RPM was used to harvest autogenous bone. A 5.2mm x 10.5mm Tapered Pro Conical implant (BioHorizons Camlog) with Laser-Lok ® feature was placed

Fig. 1 Buccal view at presentation showing soft tissue deficiency and thin phenotype

Fig. 2 Occlusal view upon presentation

Fig. 3 Pre-operative radiograph showing failed root canal treatment and apicetomy on LR6

Fig. 4a Digtial planning for implant placement

Fig. 4b Digtial planning for implant placement

Fig. 5 Implant being placed with a surgical guide and surgical navigation

Fig. 6 Guided implant placement

Fig. 7 Implant placed and autogenous bone packed around the site to fill the bony defect

Fig. 8a Harvesting of the connective tissue graft

Fig. 8b Suturing of the donor site with with OraAid placed on top to stop bleeding

Fig. 9 Zirconia custom healing abutment placed

Fig. 10 One-week post-operative – if youo look carefully you can see where the flap was buttonholed below the distal papilla

Fig. 11 One-week post-operative radiograph

Fig. 12 Occlusal view at three-month follow up

Fig. 13 Buccal view at three-month follow up buccal view showing good gingival volume

Fig. 14 Radiograph at three-month review

Fig. 15 Intraoral scan of the custom healing abutment overlayed on top of the digital mock-up, showing the improvement of tissue volume

Fig. 16 Scan to show maintenance and improvement of bone and soft tissue volume

Fig. 17 Buccal view of final restoration

Fig. 18 Radiograph of final restoration

into the socket. This was chosen because it affords high primary stability in immediate cases with an excellent connection that improves aesthetics as well as allowing a simple restorative workflow for the clinician.

The previously harvested autogenous bone was mixed with L-PRF ® membrane cut into small pieces and MinerOss ® cortical and cancellous bone chips 300µm-1000µm 0.5cc with PRP serum to create a sticky bone. The graft material was placed into any spaces found around the implant and packed with a DEGIDI plugger.

A connective tissue graft was harvested from the palatal aspect of the upper arch. This was sutured under the buccal aspect of the flap to increase soft tissue volume for an enhanced aesthetic outcome. The flap was then closed tension-free. L-PRF membranes were placed over and around the implant to further support the tissue and bone grafts. Everything was stabilised with the placement of a laboratory-made zirconia custom healing abutment. The donor site was also sutured closed and Ora Aid was placed over the site to reduce bleeding and encourage healing.

Outcome and reflections

The post-surgical and restorative review radiographs and soft tissue scans demonstrated good healing and volume. Upon reflection, the only blemish in this case was a procedure error where the very thin receded soft tissue was ‘buttonholed’. Therefore, there is some uneven healing of the gingiva, which will be addressed fairly simply with some soft tissue re-contouring when the final restoration is fitted.

Otherwise, this was a fantastic treatment for this patient. She came into the surgery with a tooth and left the surgery with a tooth. This protocol has simplified the restorative process, so we can go directly from the custom healing abutment to the definitive crown. The deep conical connection of the new Tapered Pro Conical implant, combined with its ability to achieve high primary stability, made it an excellent choice in this case.

For more information on the Tapered Pro Conical https://www.biohorizons. com/Products/TaperedProConical. n

References available upon request

about the author dr Nick Fahey Bds, Mclin.dent (Pros) MRd RCs(ed), FRaCds and MFds RCs (eng.)

Nick’s professional interests include all aspects of dentistry related to dental implants and fixed and removable prosthodontics. As a pioneer in computer-guided surgery, Nick has taught a generation of dentists about guided surgery and has been a KOL in this field for many companies. He is particularly interested in computerguided surgery and guided surgical navigation for simplification of surgical placement of dental implants and has authored a textbook called “Guided Surgery. Making Implant Placement Simpler”. Nick is also a co-director of the FitzFahey Academy. Aside from his teaching and mentoring commitments, Nick works as a Specialist in Prosthodontics and is the Principal Dentist of Woodborough House Dental Practice in West Berkshire.

d
Fahey

Peace of Mind for 60 Years

Bactericidal, with yeasticidal activity against enveloped viruses (enveloped viruses incl. HBV, HCV, HIV, and coronaviruses), non-enveloped adenoviruses and noroviruses.

Orotol Plus disinfects, deodorises and cleans all suction and amalgam separating systems and spittoon bowls. Use alongside MD555 to descale and physically clean all components of the suction unit and drain lines.

Orotol Plus is non-foaming, designed to protect and care for your suction unit. It’s high-standard material compatibility ensures performance and longevity.

For more information visit www.duerrdental.com/en/products/hygiene

Restoring a full arch in just three hours

d r Henry Cairns presents a recent full arch rehabilitation utilising cutting-edge digital solutions to elevate the final result and significantly reduce treatment time

Patient presentation

A 71-year-old male patient was referred by another dentist in the practice. His chief complaint was a lack of remaining teeth in the upper arch and he expressed sincere dislike of their appearance. The patient was initially seeking a fixed upper solution, although discussion was also had about improving the lower teeth too at a later date.

Clinical assessment

A full assessment was conducted to evaluate the treatment options available. There were six teeth remaining in the upper arch, although most were broken or fractured with poor prognoses. This indicated full arch rehabilitation.

A full suite of clinical photographs, intraoral scans and a CT scan were taken. The option of either a removable or implant-retained denture was discussed in detail with the patient, who favoured a fixed solution.

a digital planning workflow

With Clyde Munro, clinicians have access to the CHROME GuidedSmile workflow, which is designed to increase efficiencies and save time during the implant treatment planning process. For this case, the scans were uploaded to the software and the ideal implant positions, depths and angles were identified. The laboratory also produced a smile simulation, which afforded the patient the benefit of seeing what his smile may look like post-treatment.

With the patient’s informed consent, the treatment plan was approved and

a series of stackable guides were designed and fabricated, providing a framework to follow for the surgery. This would involve the placement of six implants in the upper arch, fitted with an implant-retained full arch prosthesis.

Restoring the smile in a day

On the day of treatment, the procedure was once again outlined for the patient. Local anaesthetic was administered to the upper arch and a full thickness flap was raised. The CHROME GuidedSmile base guide was placed in the mouth, over the teeth, and pinned into place.

The existing teeth were then extracted as atraumatically as possible. Bone reduction was also performed at this time, using the designated guide to facilitate the removal of hard tissue until the top of the bony structure was flat against the guide. Next in the sequence was the drilling guide, which was placed onto the existing framework. The osteotomies were created by drilling through the relevant guide to ensure accuracy.

Six BTI Interna Narrow implants –including five 4mm x 11.5mm implants and one 4.25mm x 8.5mm – were then placed, once again through the guide to precisely achieve the predetermined positions, depths and angles.

The CHROME GuidedSmile drilling guide was then removed and replaced with the prosthetic guide. Two prosthetics are made as part of this workflow prior to the patient visiting for surgery; one is for the patient to wear home as a provisional and the other – known as the rapid appliance

– is kept at the practice and used to fabricate the final restoration.

The temporary prosthetic was picked up through the relevant guide and tried in the mouth. With no immediate concerns presenting, the provisional is removed for suturing of the surgical sites and replaced for the patient to leave with a full dentition.

The patient was given standard postoperative instructions relating to oral hygiene and diet, and he was out the door approximately three hours after arriving at the practice with an entirely new smile.

Outcome

A review was conducted two weeks later, during which the sutures were removed and the provisional restoration checked. Healing continued as expected and upon review after four more months, the patient was ready for the final restoration.

The workflow was straightforward thanks to the CHROME GuidedSmile protocols. The rapid appliance was placed in the mouth and an analogue impression was taken of underneath the device to pick up the soft tissue contour post-healing.

A bite registration was also taken at this time, before replacing the other provisional. These are the only conventional steps in an otherwise entirely digital workflow. The final prosthesis – a zirconia bridge – was fabricated and placed.

Treatment concluded with some composite build ups on the lower teeth to optimise aesthetics and the patient was thrilled with the outcome.

d iscussion points

When moving into full arch rehabilitation, it is useful to follow a specific protocol such as the CHROME GuidedSmile workflow. It makes the process more predictable, without any surprises or unnecessary complications on the day of surgery. Every step is pre-planned and the clinician need only work through the sequence of guides. This also reduces surgical time, which can otherwise be substantial for full arch cases, which benefits both patient and practitioner.

For clinicians moving into full arch cases, good communication with the lab is crucial. If they can be involved from the planning phase, this will facilitate smoother workflows for all and better outcomes. For any cases that are beyond your remit as a clinician, referral remains key.

Contact Henry Cairns at Torwood Dental Practice, Inverness by emailing Henry.Cairns@clydemunrodental.com or calling 01463 712772 n

about the author dr Henry Cairns Henry graduated from the University of Dundee in 2016 as a Dental Therapist. He then went on to study at the University of Aberdeen to become a Dentist and graduated in 2020. Henry has a diploma in Implant Dentistry and has a special interest in this field.

Presenting smile
CHROME GudiedSmile guide in place
Post-operative temporary prosthesis
Post treatment outcome
Digital planning of implant placement

Bis-GMA-free formulation: for better biocompatibility

Easy stocking: only 1 shade for economic sustainability

Structural shade without artificial colour pigments: adapts seamlessly to any tooth shade from A1 to D4

Samples & More

Cherry on the cake

Dr Vera Da Silva BDS from Edinburgh describes a case involving composite bonding following fixed orthodontic treatment

A20-year-old female patient presented to the Practice because she was unhappy with her appearance. The patient also complained about struggling to bite with her anterior teeth and having a dry mouth in the morning.

The first stage of treatment was an Orthodontic assessment by Dr Mo Almuzian, a Specialist Orthodontist at Sunrise Dental Clinic in Edinburgh. The occlusal assessment established that there was a Class III incisal relationship, with a 2-4mm negative overbite and a bilateral crossbite. The extraoral features showed a mild Class II relationship, though the nasolabial and labio-mental angles were found to be average. The patient’s chin prominence was orthogenic and

facial symmetry pleasantly symmetric.

The patient reported no TMJ pain or clicking sounds.

The treatment proposed by the Orthodontist, and accepted by the patient, was an 18-month comprehensive Orthodontic treatment with fixed ceramic braces and clear aligners.

The results of the Orthodontic treatment were highly successful with a massive improvement in the occlusion. Even though the results were fantastic, it was proposed that the patient would need a consultation with a Cosmetic Dentist to address any problems with the shape, size and colour of her teeth.

When the patient attended for the Cosmetic Consultation with me, she was very receptive to options to

improve the minor imperfections of her teeth. I must say that Dr Almuzian’s approach, at the beginning of the treatment, to explain to the patient the limitations of Orthodontics and the possibility of a cosmetic retouch at the end of her journey was very appropriate.

I would certainly encourage my fellow colleagues to have a multidisciplinary vision, thereby letting the patient know at the very beginning of their Orthodontic treatment that they might need teeth whitening, composite bonding, edge bonding or other cosmetic treatments as well as the Orthodontic treatment. When this conversation happens at the very start of the journey it is easier to manage expectations and the patient can research the options at a very

early stage, consequently getting acquainted with various possibilities and therefore becoming more willing to accept further treatment.

So, let me take you with me on the patient’s journey for composite bonding.

At the first consultation, the patient smiled at me and her smile was very pleasing following just one week’s completion of home whitening. Using Boutique 6% Hydrogen Peroxide gel once a day for 90 minutes, her shade was already B1 on the Vita shade guide. As the patient wanted her teeth to be as white as possible, she was advised to continue for two more weeks of home whitening in the same manner, in order to complete the course of treatment as per the manufacturer’s recommendations.

Figure 1. Initial appearance extraoral
Figure 2. Initial appearance intraoral
Figure 3. Initial appearance with contrastor
Figure 4. Incisal build up UL
Figure 5. Dentine build up UL and incisal build up UR
Figure 6. Enamel build up UL
Figure 7. Final restorations intraoral
Figure 8. Final restorations with contrastor
Figure 9. Final restorations extraoral

However, the patient’s dissatisfaction was caused by the fact that her upper incisors, canines and first premolars were not long enough to close the slight open bite left after the Orthodontic treatment, and all the black shadow from the back of her mouth was affecting the harmony of her smile. The UR1 and UL1 were too triangular in shape, especially near the gingival margins on the distal aspects of both teeth. Fortunately, this issue could be addressed by adding volume with composite and changing the areas of reflection of light and shadows during the polishing stage.

The best way to show your patient what changes can be made is by doing a mock-up. This can be done directly as a free-hand technique using a lowcost composite. Alternatively, it can be performed indirectly by taking a 3D scan or conventional impressions to create an ideal design on a waxup, and reproducing the new shape using a bis-acrylic composite on a silicone index.

I prefer the direct composite mockup approach as I believe it requires fewer steps, is low cost and gives me the opportunity to gently polish the composite so that the patient can have a more realistic idea of the proposed outcome. In this particular case, I performed the direct mock-up using Z350 XW enamel (Solventum) on UL1, UL2, UL3, UL4 making it possible for the patient to compare the left and right sides.

If you find freehand mock-ups difficult, I strongly recommend developing your skills by practising wax-ups on old cast models. By doing this you will be able to train your eyes to see details, especially light reflections, together with improving your dexterity. The study of dental anatomy at this stage is crucial, as the beauty of composite bonding comes from the ability to reproduce and mimic the natural morphology of a tooth.

In this case, the patient accepted the treatment of composite bonding UR4 to UL4 and attended for a four-hour morning appointment. I like to indulge my patients, especially when they are going to be in the dental chair for many hours, by offering them some comforts such as a massage mattress, blankets and earphones so that they feel comfortable during the procedure. I also advise them to come in wearing comfortable clothing and to be well hydrated prior to the appointment. For this case, an Optragate retractor (Ivoclar Vivadent) was used for partial isolation. It was sufficient to secure a dry environment for us to work in and it makes it more comfortable for the patient, especially during a long appointment. It is important to remember that the assisting nurse must be well trained

in moisture control, so that she can assist in the best way whilst we are using gauzes, surgical tips and high-volume power suction.

The first step, which is cleaning the teeth with a pumice water mix on a small polishing brush to remove any biofilm present on the enamel’s surface, is very important. We then start the etching procedure using Ultra-Etch 35% viscous, phosphoric acid solution (Ultradent). Its optimum level of viscosity facilitates precision placement and superior control. As only the enamel was to be etched in this case I decided to use Adper Single Bond 2 (Solventum) adhesive. It is very important to make sure you remove any excess bonding agent prior to light-curing because any excesses will be difficult to remove later on in the process. Usually, I use a surgical suction tip to help remove any excesses and make the polishing stage easier later on the procedure.

The next step was to use a layer of Creative Pink Opaquer (Cosmedent) on the buccal aspect of the teeth. You can use other opaquers that you are familiar with, knowing the exact outcome you want depending upon the product’s properties. I like using an opaquer so that subsequent composite layers won’t need to be thick in order to create a whiter result. The next step was to build-up the palatal aspect of the teeth, making sure that the desired length matched the previous design and patient’s expectations. I achieved this using Filtek 350 XT, shade CT, (Solventum) and a freehand technique.

I built the UL1 - UL 4 incisal edges first and then proceeded to do the right teeth, but it is a very personal choice so you can change it according to your expertise and need. It is important to ensure that the composite increment for the incisal edge is the size of a grain of rice, so that you can make this layer as thin as possible to give the desired translucency. Also, make sure that the translucent resin is not placed too labially, otherwise you might get an excessively translucent effect on the buccal aspect which is not desirable. A good way to check it is to place your IPCT spatula (Cosmedent) labially, as a guide with respect to the inclination of the incisal third of the tooth.. The IPCT spatula has an extra thin and nonsticky blade which makes dealing with the composite much easier, especially if it is associated with the use of Composite Wetting Resin (Ultradent). It is important to make sure you only use a small amount of Composite Wetting Resin, otherwise you can change the composite’s composition and make it more prone to staining.

Virtually all the products featured in this article, including the complete Tokuyama, Ultradent and EVE ranges, are available from Trycare. For further information visit www.trycare.co.uk, contact your local Trycare representative, telephone 01274 885544 or email dental@trycare.co.uk

Once the palatal aspects have been cured, we can decide how much translucency is to be visible. It can vary depending on the patient’s wishes, age and anatomical characteristics of the other teeth in the patient’s mouth. In this particular case, the patient asked for minimal translucency on the incisal edges when we discussed the case at the planning stage. Using a body shade BL from Estelite Asteria (Tokuyama) on the middle third towards the incisal edge I recreated the mamelons in a very delicate way, making sure that I respected the inclination of this third of the surface in order to leave space for the subsequent incremental layers.

The area in between the mamelons was sealed with Z350, shade CT, with a very minimal increment, only enough to guarantee a more natural appearance, and make sure that the surface is smooth to minimize the chances of bubbles or imperfections being created when you work with the final layer. This is the perfect time for you to work with tints, if they are needed, especially if your case is not a full case and you are working only on one or two teeth, and have to mimic the characteristics of the adjacent teeth.

The final layer will be the one determining the shape and ultimately the shade of the teeth. In this case I used Estelite Sigma Quick (Tokuyama) shade BW. I am very comfortable working with Tokuyama’s composites as their characteristics facilitate a very straight forward placement of the final layer. I usually like to place an appropriate portion of the composite on the dorsum of my hand and then use the opposite hand to press it very lightly and remove any air bubbles from the composite. It is important not to do it for too long, as the heat of your body will make the composite softer and that may cause you difficulties afterwards.

Using a resin placing spatula of your choice, it is important to start to distribute the composite from the gingival margin towards the incisal third, always respecting the inclination of the buccal aspect so that you will not have too much work to do when you start the polishing stage. The interproximal aspect will receive the perfect contour if you apply the Mylar Pull technique. First, you need to place the Mylar Strip in the interproximal area, with uncured composite on the facial surface and cured composite on the lingual surface to support it. Then you pull the Mylar Strip towards the lingual surface, so that the composite is drawn from the buccal to the lingual surface, adapting to the previously cured material and reducing voids or gaps between the layers. This enables you to reproduce the perfect contour in the most challenging area of your composite build-up.

In order to obtain long-lasting results, thinking about the light-curing process is crucial. In this case I used a Valo Grand (Ultradent) curing light due to its ultra-high-energy broadband LEDs and larger 12mm rod, which cures all dental materials. It’s a real winner! I am sure that the resulting stability of a

very well cured composite helps with shade longevity and strength of the final restoration.

The final part of treatment is the finishing and polishing stage which will transform the appearance of your composite. I have started using a conical pointed, red band diamond FG bur and then a 7901 carbide bur at a 45° angle for recontouring the gingival margin, followed by a 3118F diamond flame bur for the palatal aspect. The excess on the buccal aspect was removed using a red band round taper diamond bur followed by a Jet TC 7664 FG carbide bur to remove the scratch marks caused by the diamond bur. On the interproximal aspect, if you have bigger volumes of material to polish you can also use yellow (fine) GC Metal Strips for trimming and finishing the interproximal surfaces. Alternatively, I smooth the interproximal areas with strips such as Epitex (GC), starting with the coarsest and moving to the least abrasive. Using dental floss at this stage is a great way of detecting areas with excess that need further polishing.

I then used a large coarse flexible Sof-Lex disc (Solventum) to reduce the volume of the buccal aspect. For easier access to the proximal surfaces I used the small one at a very low speed, 7000 rpm, as it is a very delicate area and small mistakes at this stage can cause a lot of undesirable effects.

The secondary anatomy was achieved using the carbide bur on the middle third to the incisal third, to mimic the distal and mesial labial groove creating the three very distinctive buccal lobes. You can intensify or minimize these grooves depending upon the patient’s age and taste.

Then came the very satisfying stage of polishing and there is nothing better than using EVE’s Diacomp Plus polishers for this, because it is a fast two-step polishing system which is much appreciated after a long treatment session. Diacomp Plus polishers give a high shine on all composite materials and work especially well with Tokuyama composites, which require hardly any time to achieve a high gloss, long lasting shine which lasts and lasts because of their unique spherical filler particle composition. If required the final polish can be achieved using felt discs, either in combination with a polishing paste or dry. In this case I used FlexiBuff Mini (Cosmedent) without polishing paste. n

About the author Dr Vera Da Silva BDS Vera qualified from Brazil in 1995 and has progressed in her career completing a Specialization course in Prosthodontics (Brazil) in 2005. Vera has a special interest in minimally invasive Dentistry and Prosthodontics. She is currently completing a curriculum on Biomimetics and is delighted to offer her patients the latest techniques in dentistry.

Where a toothbrush, smile, and football shirt meant the world

In April, my colleague Meg and I had the privilege of joining Dental Maverick Founder Cally Walker in an incredible project in Northern Morocco that left a lasting mark on us both. Deep in the Rif Mountains, we spent time with children who reminded us just how powerful compassion and community can be. Alongside the teams from Dental Mavericks and RifCom, we were part of an initiative that brought vital oral health education to 160 children in remote villages.

These children don’t have access to even the most basic dental supplies. Each child received a toothbrush and toothpaste and was shown how to use them properly. These simple steps could help prevent a lifetime of pain.

But for many, the pain had already started.

Out of the 160 children we met, 40 were in severe dental pain. Some were suffering from infections that had been left untreated for far too long. They were referred to the Dental Mavericks clinic for urgent treatment, free of charge.

We learned that, in these remote areas, children in dental pain often suffer in silence. When infections are left untreated, they can develop into abscesses, which may lead to sepsis.

In the most tragic cases, it can result in death. That is the heartbreaking reality we rarely hear about, but it is happening, simply because there is no access to basic dental care.

And yet, amid the hardship, there was joy.

Thanks to the generosity of RifCom’s supporters, every child also received a brand-new football kit and a pair of boots. They were grouped into eight girls’ teams and eight boys’ teams for a community tournament that turned the entire village into a celebration. The pride these kids felt as they pulled on their jerseys and ran out onto the pitch was overwhelming. Laughter echoed through the mountains.

A special moment for us was seeing one of the teams proudly wearing kits sponsored by Connect My Marketing, it was an honour to play even a small part in something so meaningful. For a moment, they weren’t children in need. They were just children: proud, playful, and free. This weekend was about more than football or oral hygiene. It was about restoring dignity. It was about being seen. It reminded each child that they matter.

Skopos and Telos

Hindsight is a wonderful gift, it certainly helps to bring perspective, understanding and excuses. I now realise that my head was in trouble when I made, and believed, the statement that “being a dentist was not just what I do – it is what I am.” Suggesting that my purpose in life was to ‘be’ a dentist, not only showed I was confused, self-deluded and, perhaps, arrogant, but that I was wrong. However, when you’re living in a false reality, you’re too close to see the truth. Eventually, I realised that I was out of focus and touch.

The realisation arrived when my self image started to behave like a plate

Meg and I left changed. We went to give, but came away with full hearts, powerful memories, and a renewed understanding of what truly matters.

To Cally and the incredible teams at Dental Mavericks and RifCom, thank you. You are saving lives and changing futures, one smile at a time. If you ever get the chance to be part of something like this, go! It will stay with you forever.

glass window in an earthquake.

First, there came distortion, then one small crack, which rapidly grows, multiplies and fragments; finally, the glass becomes opaque before it disintegrates into showers of shards. Like the often-quoted line from Hemingway’s story, The sun also rises , when a character reveals that he became bankrupt, his drinking companion asks how that happened and he responds: “Gradually, then suddenly.”

In my case, there was a certain irony to my mental health challenges. I had come through the difficult periods of having started two practices, stared bankruptcy in the face, recovered from a divorce, was enjoying a new marriage and celebrating the birth and growth of our son. To all outside appearances, I was the owner of an increasingly successful dental practice and business. We had transitioned away from a reliance on the NHS and things were on the up.

Internally, however, I was struggling with the fact that I needed to grow and develop. Externally, things were good, but I was still stuck in the past. I hadn’t acknowledged my progress and that I actually was successful in many ways.

I had moved from facing the dayto-day and hour-by-hour to a totally different place, but my head was still in the past. My role had grown but I had not. One of the ways this manifested itself was in my use – or rather misuse – of time. Instead of making long- and medium-term plans, I was still trying to fight fires in the ‘now’.

I’m not on my own. Clients often seek me out because they have hit a metaphorical wall, run out of ideas, or are exhausted trying to make something work. That something might be as big as a career or business plan, or sound as relatively small as recruiting and keeping an associate.

In the words of John Cassian, a monk who lived in the Roman Empire during the 4th and 5th centuries, they have not distinguished their “Skopos and Telos.” In translation, the Skopos is the immediate aim of an action, whilst Telos is the ultimate goal or end point. What I now realise is that you must know where you are on your own path and that there are different phases to go through, all of which require different skills and approaches.

To return to the two examples I have mentioned, without a Telos or longterm goal, you are likely to take actions

Dental Mavericks: dentalmavericks.org rifCom: rifcom.org n

About the author Jay Dickens, social Media Manager at Connect My Marketing - Meta and Google Certified. Connectmymarketing.com

that only address short-term pains but ultimately are kicking the can down the path – or probably off the path and into the long grass. Skopos may cure the immediate problem or challenge but will only take you so far.

In my early days as an associate in an overheated, pressurised quadrant dentistry job, I remember discussing the possibility of a caries vaccine with one of the practice partners. I thought it would be a great idea as we could then get on with focusing on health rather than disease, prevention rather than treatment. They, on the other hand, committed to a philosophy of constant downhill cycles of repair, leading from amalgam through full coverage restorations to extractions and dentures, couldn’t imagine such a future. Clearly, we were at variance over our Telos whilst we may have shared a similar short-term Skopos. In the sheer busyness of life, it is very easy to lose track of your Telos, your guiding star, and let it be replaced by short-term expediency.

No point in signing the best striker in the world if you have no idea how you want the rest of the team to play, but it keeps happening. Nor is past success a promise of the future without a plan. n

I chose Eschmann, as amongst my peers, it was repeatedly recommended as being the best company for quality & reliability

With no hidden fees, Care & Cover offers:

• Annual Validation and PSSR certification

• Annual service & software upgrade

• On-site support from our team of over 50 specifically trained engineers

• Unlimited breakdown cover

• Unlimited Eschmann parts & labour

• Technical telephone support

• Enhanced CPD User training

Experience Eschmann excellence at www.eschmann.co.uk, or call us on 01903 753322.

Call in the experts. Contact us for your FREE Care & Cover package quotation.

Engaging the next generation of implant experts

For dental professionals with an interest in dental implantology but who have not yet got involved, the ADI established the Next Generation community. Delivering dedicated events and educational opportunities, this is the ideal platform for those new to dentistry or implants to lay strong foundations for a prosperous career in the field.

At the recent ADI Team Congress, the Next Gen programme provided just this. An array of inspirational professionals shared their own journeys and offered practical advice to help colleagues make the very most of the career options available to them.

Key themes throughout the day included building good habits as a profession to both reduce complications and grow the implant business, and the importance of treatment planning.

Dr Jaimini Vadgama, Dr Jiten Vaghela and Dr Ricky Bhopal kicked things off by exploring the digital solutions available today to enhance the treatment planning process. They considered the precision and efficiency afforded by successful implementation of these technologies and looked at how digital workflows can elevate the patient experience.

Dr Hiten Pabari put the spotlight on accelerating career success in implantology, covering a broad range of topics from the initial investment and training required right through to patient acquisition and scaling up to deliver 100 implants per year. He recommended becoming confident in restoring implants before beginning to place them and creating a clean environment dedicated to implantology for exceptional patient care. With regards to development, Hiten discussed the need for on-going training, target setting and progress reviews to maintain motivation and momentum.

Dr Dimitrios Charoulis and Dr Harshiv Karia brought the discussion around to treatment planning. They advocated for clinicians to spend 80% of treatment time on planning and 20% on execution for the safest and most predictable results. For this to be effective, accurate and comprehensive, data collection is key. Not only does this make it possible to define the end point before treatment begins, but it also allows the clinician to operate in the most efficient way. The interactive session

saw attendees get involved with polls and surveys to share their own opinions about case studies shown and to really get the conversation flowing.

For attendees looking to advance their initial knowledge or see just what is possible in dental implantology today, Dr Viraj Patel provided an overview of innovative hard and soft tissue augmentation procedures and materials. There was also an opportunity to discover the potential of fullarch rehabilitation with Dr Sherlock Chan and Dr Ton Murphy using evidence-based concepts and products.

Despite the full educational programme, the ADI Team Congress was about much more than just learning. It was also a platform for connecting with like-minded professionals, for engaging with the industry and making new friends across the field. Whether browsing the exhibition, catching up with peers over a coffee, or enjoying a glass of wine at the stunningly elegant black-tie dinner, attendees were able to network with a number of individuals and teams over the three days.

For any dentists wanting to get involved in implantology in the years to come, the ADI is the ideal organisation to be a part of. To be as accessible as possible, membership is free for 2 years postqualification and available at a 50% discount 3-5 years post-qualification. This provides free attendance to ADI Study Clubs, the Members’ National Forum and ADI Masterclasses, 50 free patient leaflets, and free access to prestigious research journals, amongst other benefits.

To start building a long and successful career in dental implantology, the ADI can help. The Next Generation community provides numerous opportunities to immerse yourself in the implant world, to find mentors, be inspired and advance your skills. Find out more and join today!

For more information about the ADI, visit www.adi.org.uk.

save the dates for the next ADi Team Congress: 6-8 May 2027, Liverpool n

Hepatitis and the dental professional

As dental professionals, we all face a certain number of occupational hazards. Among these is exposure to blood and other bodily fluids, which increases the risk of related infections such as hepatitis. Understanding how hepatitis viruses are transmitted, their potential impact on both patients and practitioners, and how to mitigate these risks is vital for maintaining a safe dental environment. With World Hepatitis Day promoted this month, I thought this a useful refresher to ensure we are all keeping ourselves as safe as possible.

The virus and its affects

There are five different types of hepatitis – A, B, C, D and E. They all affect the liver but are caught via different transmission pathways. Hepatitis B (HBV) and C (HCV) are most common and can lead to chronic infection. They are both spread through contact with contaminated blood.

Causing inflammation of the liver, hepatitis can cause a range of symptoms from muscle and joint pain to a fever, nausea, fatigue, loss of appetite, stomach pain, dark urine, itchy skin and jaundice. Possible indirect oral health consequences of a hepatitis infection include a higher risk of tooth loss, periodontitis and halitosis.

estimated prevalence

It is estimated that 270,000 people in England have hepatitis B, with a higherthan-national-average percentage of the population affected in London. Many of these people are believed to have acquired the infection overseas in endemic countries, with low mother-tochild transmission and high vaccination rates reported in the UK.

Due to direct and indirect exposure to blood, dental professionals have been identified as at-risk of HBV and HCV infection. Historically, the risk of HBV was estimated at 3-4 times greater than the general population, but this has been reduced due to widespread vaccines and developed clinical precautions.

implications for patient care

Where patients attend the practice with confirmed HBV status, their care may need to be tailored accordingly. For example, those with HBV are 38% more likely to have periodontitis compared to those without. This association means that gingival health should be closely monitored and high standards of oral hygiene maintained.

In addition, anyone with chronic liver disease will be immunocompromised. This puts them at a higher risk of bleeding and post-treatment infection, which must be considered throughout their dental care.

Knowing and reducing the risks

It has been suggested that the gingival sulcus contains the highest concentration of HBV infection intraorally, highlighting the risk to dental professionals. There is also a potential danger of exposure to the virus via aerosol particles when treating an infected patient.

For any healthcare workers, percutaneous injuries are the most likely source of infection when it comes to HBV and HCV. Contact with blood splatter from infected individuals may also be cause for concern.

Prioritising prevention over cure, dental professionals who may have direct contact with patients’ blood are strongly recommended to be immunised against hepatitis B. Antibody titres may be checked in the months following the primary vaccination course to support post-exposure prophylaxis decisions, should they be required.

Should accidental or potential exposure to blood-borne infections like HBV or HCV occur, individuals should follow the established post exposure prophylaxis protocols in the practice. These should be initiated as soon as possible after the incident and will likely include washing the wound, in the case of needlestick injury. Vaccination status should be reviewed and administered rapidly in the event of missing or unknown immunisation status. No treatment should be necessary for the appropriately vaccinated professional.

professional education & confidence No matter how long you have worked in dentistry, what role you fulfil in the practice or how many patients you see in a day, it’s crucial that you understand the occupational risks you face and how to minimise them. Hepatitis is only one of the threats, and it can be reduced with meticulous preventive measures like vaccination and safe needlestick protocols. To ensure you are confident in avoiding the dangers, there is a wealth of education and training on offer to the entire team. Online resources, training courses and seminars are widely available and should be utilised by all. n

About the author endoCare, led by Dr Michael sultan, is one of the UK’s most trusted specialist endodontist practices.

MINIMALLY INVASIVE SOLUTIONS

SHORT IMPLANTS (FROM 4,5

FOR

3 REASONS:

MM

1. L ess trauma: no complex reconstructions.

2. M ore success without postoperative complications.

3. Greater patient acceptance: no delays in rehabilitation and no cost increases Discover these solutions

When is the right time for further studies?

My journey to becoming a council member for the British Endodontic Society

When I first joined the British Endodontic Society (BES), like many clinicians, I simply wanted to stay connected with developments in endodontics. I respected the Society but, at the time, I had little understanding of the work that went on behind the scenes or how vital its role was in shaping the profession. Fast-forward to today, and I now serve as the Society’s Treasurer, a position that has transformed my professional outlook and deepened my commitment to our community.

My path into endodontics began in earnest in 2019, when I enrolled on an Advanced NHS 5-Day Endodontic Course at Wexham Park Hospital. It was a pivotal moment. The course, led by the excellent Allen Goen and Paul Cruci, gave me not just practical skills, but a renewed sense of purpose. Their clarity and passion for teaching reminded me of how rewarding endodontics could be when approached with precision, curiosity, and confidence. That course lit a spark. Just after the first COVID lockdown in 2020, I decided to apply for the MSc in Endodontics at Queen Mary University of London (QMUL). At 47 years old, it wasn’t a decision I took lightly. Alongside personal responsibilities, I was also running a busy NHS practice, balancing clinical demands, management pressures, and team responsibilities. There was no perfect time, but I felt strongly that it was the right step.

Amusingly, I turned to a couple of unlikely sources for endodontic application advice: a great friend who had recently sold their 18-year-old business (non-dental), a Cambridge graduate, and an A-Level student from Ukraine renting a room in our house. She had just received an offer to

study Law at Oxford, and I asked her what Universities were looking for in a personal statement these days (30 years had passed since my last personal statement). Both their insights – write clearly, be authentic, tell your story – helped me frame my motivations honestly. I applied and was delighted and somewhat anxious to be accepted.

The MSc at QMUL was life changing. It challenged me academically and clinically, but also personally. I juggled lectures, assignments, and clinical sessions with the demands of running my NHS practice.

During my first year, my mother became seriously ill, and in my second year, she sadly passed away. Her funeral took place the day after my second-year written exams. At the same time, my daughter was going through her GCSEs, and with two younger sons as well, it was a stressful time for any family, made more so by grief and high expectations.

Looking back, if it had not been for my wife’s strength, bearing the weight of the entire family, and the kindness and understanding of Professor Chong and his staff along with the encouragement from my four colleagues on the course, I couldn’t have fulfilled my quest. Otherwise, I’m not quite sure how I would have managed it at all. I was kept going by all their support. I graduated as a 51-year-old, and that moment meant everything. It was a quiet but powerful reminder that it’s never too late to grow, and never too late to invest in yourself. Life rarely offers a perfect window, but with determination and support, progress is always possible.

During my third and final year of the MSc, a tutor and the course lead encouraged me to stand for election to the Council of the British Endodontic Society (BES). I was hesitant at first, I didn’t see myself as

someone who belonged in that space. But their encouragement stayed with me, and in February 2023, I stood for election, simply wanting to contribute and be part of the conversation. I was honoured to be elected.

Joining the council opened my eyes to the true scope of the Society’s work. The BES doesn’t just host conferences or offer CPD, it’s involved in advocacy, education, research support, and professional development at every stage of a clinician’s career. It fosters a strong community where ideas and expertise are shared generously.

Two years later, I stepped into the role of Treasurer. It’s a responsibility I don’t take lightly. Managing the Society’s finances is about enabling impact: supporting bursaries and research, funding events, and ensuring long-term sustainability. It’s strategic work, grounded in purpose and I’m proud to contribute in this way.

What I value most is the sense of connection. The BES brings together professionals at every stage – students, general dentists, academics, specialists – and creates a space where we learn from each other. The community is strong, and the shared vision for excellence in endodontics is energising.

Looking ahead, I hope to continue helping the Society grow to stay financially strong, strategically focused, and inclusive of all those passionate about endodontics. The dental landscape is evolving rapidly, and the BES has a vital role to play in leading through change.

If there’s one message I’d like to share, it’s this: it’s never too late to further yourself. There’s never a perfect time. Life will always present challenges whether it’s grief, family, or the day-to-day demands of clinical practice. But if something truly matters, you’ll find a

way. I did, and it has changed my life and is still evolving. The experience of studying later in my career not only allowed me to share my clinical experience and knowledge with my younger fellow postgraduate students, but now, having sold my practice I am fully immersed in my workflow limited to endodontics. I’m deeply grateful to all those who encouraged me to take that first step and to all the council members, past and present of the Society that have given me the chance to grow and give back.

Promote, educate, advance – BES motto

For more information about the BES, or to join, please visit the website www.britishendodonticsociety.org.uk or call 07762945847 n

About the author

A dentist with a special interest in endodontics, rahul patel is an ordinary Member of the British endodontic society (Bes) council.

The Female Dentist – Meet the Board: Linzy Baker

Dental hygienists and therapists provide an invaluable service, offering preventative care and education, treating oral diseases and delivering restorative treatments so that oral health is kept to the best possible standard. There are challenges, however. From physical strain as a result of sitting in awkward positions for long periods of time, to navigating employment arrangements and difficult patients. Linzy Baker, a dental therapist based at the One to One Dental Clinic on Harley Street, is well-versed on the daily challenges and hopes that her role as a Board Member for The Female Dentist can alleviate the concerns that many may have with the profession.

“I joined The Female Dentist Board to represent dental hygienists and therapists as, after hearing about

the vision and initiative, I knew this would be something of interest to my colleagues. I wanted to ensure our voices were heard and I believe that I can provide insights to both the board and members who may be seeking help. This could be for ideas around incorporating dental therapist workflows into their practices, how to connect more like-minded team members with employers and practices, or how best to utilise their team. These are topics I am often discussing with my dental colleagues already.

“I also want to help the next cohort of dental therapists and hygienists connect more; conversations have illuminated how many are isolated in their four walls, working without support and struggling to stay motivated, with some even thinking of

leaving the career. To give nationwide opportunities – not just to one location – for colleagues to connect and broaden their circles and find like-minded individuals and life-long friends would be a great achievement and something I can envision The Female Dentist achieving.

“The network provides an inclusive hub for women in dentistry to speak freely, ask their questions (even the

ones that we think we ’shouldn’t’ ask) and to be their best selves. It is a safe community where we aim to not only educate and inspire, but to have some fun. Too often I hear the stories of isolation within practices or as female bosses; those who are wanting to achieve more but feel unable to do so, women who were thriving in their career but since having children and being away from work aren’t sure how to spin all the plates. The board is full of struggles and success stories and I am greatly inspired by those I sit with and know that they will bring the best advice to the members.

“I am very excited to see The Female Dentist grow as a brand and a cohort expanding its reach to the whole of the UK and bring women in dentistry to the forefront of their careers, encouraging success and building resilience and knowledge for these women to thrive in all aspects of their lives.”

Join The female Dentist today. For details on membership visit thefemaledentist.co.uk/membership-benefits/n

The invisible differences behind A-dec’s 10-year warranty

In an industry saturated with dental brands in the marketplace, A-dec continues to lead by putting longterm quality, reliability, and innovation at the heart of every decision it makes. The introduction of A-dec’s new 10-year warranty on core equipment, including chairs, stools, lights, and delivery systems, isn’t just a bold move; it showcases the brands solid confidence in its products.

Doubling its previous warranty period, this coverage offers dental professionals a decade of peace of mind. Yet A-dec’s commitment extends far beyond those 10 years. Thanks to meticulous engineering, robust materials, and comprehensive testing, A-dec designs its equipment to far exceed a 10-year service life. It’s a testament to their core belief: quality is worth the investment.

The invisible differences that matter What makes A-dec different often isn’t immediately visible. These ‘Invisible Differences’ are the subtle features, manufacturing processes, and philosophies that contribute to outstanding product performance and customer satisfaction. They cover every part of A-dec’s business, from product design to the people behind the brand.

excellence in technology and connectivity

Dental practices today expect more from their equipment, particularly in terms of technology. The launch of the new A-dec 500 Pro Package brings next-level innovation, combining the flagship A-dec 500 Dental Chair with the A-dec 500 Pro Delivery System. This is supported by the A-dec+ platform, an updatable software solution designed for flexibility, smart diagnostics, and future expansion.

The A-dec+ app allows users to monitor, update, and troubleshoot equipment in real time from their mobile devices, reducing downtime and streamlining workflows. Whether for a single practice or a larger group, this connectivity ensures better patient care and smoother operations.

Superior materials for long-term durability

Every element of an A-dec product is thoughtfully chosen to improve durability and performance. From in-house powder coating and plating to the use of antimicrobial raw products in tubing, A-dec prioritises long-term performance.

A-dec manufactures its tubing from raw materials to exacting standards, incorporating antimicrobial AlphaSan to protect waterlines and extend system life. Even components like water bottles are engineered to withstand pressures far beyond typical use, with features to maintain infection control and reliability in busy practice environments.

In-house manufacturing for total quality control

Unlike many competitors that rely on external suppliers, A-dec maintains full control over the majority of it’s manufacturing processes. This extends to proprietary hydraulic cylinders, custom-designed armatures, and precision-moulded covers.

A-dec’s commitment to excellence includes the use of advanced ComputerAided Design (CAD) software to create precise, long-lasting components. The company’s manufacturing partnerships for moulds and casting processes ensure that every product meets the highest possible standards for both performance and safety.

engineering that goes beyond expectations

A-dec doesn’t stop at meeting warranty

standards-it tests its equipment well beyond that. Rigorous life cycle testing simulates 20 years of constant use, covering everything from mechanical wear to repeated cleaning cycles. Pressure-mapped armrests and precision engineering enhance patient comfort and ergonomic support for clinicians. Patented hydraulic systems provide smooth, quiet movements that reflect the same care and attention put into every detail.

Sustainability and compliance at the core

As a responsible manufacturer, A-dec aligns its operations with leading regulatory standards, including FDA, EU MDR, and REACH compliance. Where possible, it sources sustainable

materials and operates with resource conservation in mind. Sustainability isn’t just a marketing point, it’s embedded in the company’s culture, with practices that support long-term environmental and business health.

Meeting dentistry’s biggest challenges

A-dec’s innovations don’t happen in isolation- they’re shaped by the realities of modern dental practice. Key challenges such as ergonomics, patient comfort, bariatric needs, and infection control are all addressed through thoughtful design and superior engineering.

The A-dec 500 chair, for example, offers an increased weight capacity of up to 227 kg (500 pounds) without compromising performance or comfort. Infection control is addressed with products like ICX waterline treatments and antimicrobial tubing finishes, making it easier for practices to meet stringent hygiene requirements.

Why the 10-year warranty matters

A-dec’s 10-year warranty is more than just a policy-it’s a reflection of the company’s confidence, commitment, and craftsmanship. While others may try to match the offer, few can replicate the decades of innovation, testing, and expertise that sit behind every piece of A-dec equipment.

Ultimately, this is about more than warranty coverage-it’s about delivering lasting value. A-dec’s equipment helps practices reduce downtime, lower maintenance costs, and provide excellent care, all while supporting a professional, modern environment that patients can trust.

For dental professionals looking for exceptional quality and extra peace of mind and customer support, learn more about A-dec’s latest products or request a quote today: a-dec.co.uk/find-a-dealer n

Mind the gap

Delivering excellent customer service in a dental practice isn’t about being trendy – it’s about being tuned in. As practices serve increasingly diverse age groups, it’s easy to fall into the trap of generational guesswork. One patient’s ‘fantastic follow-up call’ is another’s ‘why are you ringing me when a text would suffice?’ So how do we strike that golden balance?

Let’s take a tour through the modern dental surgery where Baby Boomers, Gen X, Millennials and Gen Z cross paths –and sometimes clash – over background music, booking systems, and what exactly constitutes personal service.

scene 1: The reception rumble Margaret, 74, walks in 15 minutes early with her paper appointment card in hand. She greets the receptionist like a dear old friend. “I don’t trust those reminders on the phone. They disappear!”

Two patients later, 28-year-old Omar arrives, holds up his phone silently, and flashes his confirmation screen like he’s boarding a flight.

Just then, a team member says: “Our patients wouldn’t like online forms. They like to chat!”

Here’s the thing: some definitely do. But others would rather have dental work than fill out a clipboard in front of strangers. The solution? Offer both the chat and the click. Customised care doesn’t mean choosing one over the other. It means letting them choose.

scene 2: The Myth of the personal touch

You suggest automating post-op followups by text. Someone responds: “But how can you do the personal touch without talking to the patient?”

Good question. But let’s flip it: for many patients, a quick, helpful message at the right

Navigating generational nuance in dental customer service

time feels more considerate than a phone call during dinner. ‘Personal’ doesn’t have to mean ‘spoken’. It means purposeful and relevant. In fact, some patients find phone calls intrusive and avoid answering unknown numbers altogether. You’re not ghosted –they’re just preserving their peace.

scene 3: Music wars & mood lighting The team decides to freshen up the waiting room with some ambient background music. Cue mixed reviews:

• Margaret: “What lovely piano music!”

• Omar: “What is this, a spa?”

• Millie, 17, scrolling TikTok: quietly adds her own soundscape of lo-fi beats and dog memes.

Compromise? Create a neutral playlist that’s soft enough to calm nerves but bland enough not to offend anyone (yes, it’s possible). And no death metal – unless it’s an emergency extraction.

scene 4: Communicate like it’s 2025

You ring Alan, 67, to confirm his appointment. He’s grateful.

Meanwhile, Jess, 32, responds with a text five minutes after a missed call: “Hey, sorry! I never answer numbers I don’t recognise. Can you just text?”

Ethan, 19, meanwhile, hears the voicemail, ignores it, and emails four hours later to say “I don’t do phone calls. Please just WhatsApp or email.”

Team takeaway? It’s not about ditching calls. It’s about layering communication options. Texts, emails, calls, maybe even an emoji-filled WhatsApp for those who need a little dopamine before their scale and polish.

scene 5: The feedback loop

You ask Betty, 82, how her appointment went. She replies: “Oh

lovely, dear. Such gentle hands. I’ll tell my neighbour Doreen.”

Josh, 24, meanwhile, is already on Google before he’s out the door: “Receptionist = 11/10 vibe. Dentist: friendly with clinical flair. Would recommend, even if just for the free toothpaste.”

Your challenge? Encourage both. Ask everyone for feedback, not just the ones you know are likely to respond. You never know what insights (or hilariously poetic praise) await.

reality Check: Assumption ≠ insight “Boomers hate tech.” > “Gen Z only trust influencers.” > “Millennials never answer the phone.”

We hear these every day—but people are more complicated than their generational taglines. As one savvy practice owner said: “We don’t treat all molars the same, so why would we treat all people the same?”

Bingo.

What’s the fix?

Instead of defaulting to assumptions, simply ask:

• “How do you prefer to be contacted?”

• “Would you like this digitally or in print?”

• “Would you prefer a quiet appointment or are you up for a chat?”

Custom service doesn’t mean being everything to everyone. It means giving everyone the dignity of choice.

Excellence in customer service isn’t about pleasing a particular generation It’s about adapting to each patient with thoughtfulness and flexibility. From silent service to social chatter, from paper forms to touchscreen portals, the key to navigating generational difference is empathy, not assumption.

As I’m always banging on about, empathy and rapport are your superpowers and you should understand and utilise them. Although…

When rapport gets splashy

During a recent practice visit, I found myself gently coaching a brilliant (and slightly bashful) receptionist on the art of building rapport, especially with more, shall we say, challenging patients.

As I cheerfully chatted with one rather gruff gentleman, the receptionist whispered: “This just feels a bit... flirty? It doesn’t feel natural to me.”

I reassured her. “No, no, it’s not flirting. It’s rapport. It’s empathy with a side of conversation. It’s the bridge between defensiveness and trust.”

That very same patient, now grinning and freshly polished, leaned in on his way out and said: “You should come to my pool party this weekend. Bring your friend.”

At which point, the receptionist looked at me as if to say: “That’s not helping your case.”

Moral of the story: rapport isn’t romance but sometimes patients don’t read the training manual. Still, the ability to connect genuinely (if accidentally invite-worthy) is a vital skill that often diffuses tension, builds loyalty, and, every so often, gets you access to a BBQ that you must not go to. n

About the author Lisa Bainham is president at ADAM and practice management coach at practice Management Matters.

BADN at the Scottish Dental Show

One of the first things which strike you about the Scottish Dental Show, is that it is very nice. The venue has a superb, easy to reach location – between the River Clyde and a large shopping mall – in walking distance of several reasonably priced hotels and restaurants. The exhibition space is just the right size, not cramped in, but not so large you get lost. And the organisers, the venue staff – even the security people – are pleasant, friendly and helpful! (In certain other venues, most notably the very big one in the Midlands, the security staff seem to think their raison d’etre is to be as difficult, contrary and spectacularly unhelpful as they can possibly be and to make all exhibitors lives as difficult as possible!)

So, Preetee, Jacek and I were happy to spend the weekend at Braehead at the 2025 Scottish Dental Show. Preetee held a workshop on both days, titled ‘Respect Begins Here: Transforming Dental Workplaces’, which was well attended (even the GDC turned up), and our popup stand was in a perfect position for networking, both with dental nurses and other exhibitors.

We were delighted to meet up again with Dr Henri Diederich of ROOTTS, who has agreed to do our July 2025 Coffee Catch Up, all the way from Luxembourg. Details of this Coffee Catch Up will be released by

e-newsletter at the beginning of July, so if you are interested in attending, please sign up for our e-newsletters (www.badn.org. uk/newsletter).

Thanks to Ann Craib and her staff for organising the show. We enjoyed ourselves so much that we immediately booked next year’s stand.

has moved We’ve finally moved back to Fleetwood after 21 years at Hillhouse. The phone numbers and email addresses remain the same, but our postal address is now: BADn 13-15 preston street fleetwood fY7 6JA

Please don’t send snail mail to our old Hillhouse address – its going to be knocked down! n

About the author pam swain MBe is

BADn rewards Look out for exciting news for BADN members on the Rewards Scheme –there are going to be big changes to the scheme this summer!
BADn

Buzzing without pause

This weekend, I found myself doing my least favourite part of being a homeowner – gardening. After weeks of dry weather, my lavender looked tired and uninviting to wildlife. But then came the rain. The very next day, the lavender was alive with activity, bumblebees darting back and forth, tirelessly working without pause. Watching them, I couldn’t help but reflect on my own pace of life. Am I, too, constantly buzzing from task to task without giving myself a moment to rest?

That moment of reflection got me thinking about my own work-life balance, and led me to a broader question: what does work-life balance really look like in dentistry today?

Dental teams across the UK are facing mounting challenges in the fast-paced, ever-evolving world of dentistry. A recent survey revealed that 62.2% of dental professionals worry about work outside of hours and 54.1% report that their sleep is disrupted through work related stress . How can we reduce these figures in an industry that is deeply committed to patient care, but one in which professionals feel like they are being increasingly stretched? While systemic change is essential, individual strategies can also make a meaningful difference in achieving a healthier work-life balance in

dentistry. In my view, the best place to start is by setting clear and consistent boundaries for yourself, resisting the urge to check emails or patient messages outside of working hours, and using automatic replies or patient-related practice policies to manage patients’ expectations. Protecting your personal time is not a luxury but a necessity, and just as appointments are scheduled with patients, time for rest, hobbies, and family should be blocked out in the diary and treated as nonnegotiable. These moments of pause are vital for recharging, both mentally and physically.

Delegation is another powerful tool. Empowering other members of the team to take on appropriate responsibilities not only lightens the dentist’s workload but also fosters a more collaborative and confident team environment. When everyone is working to their strengths, the practice runs more smoothly and efficiently. You might also want to consider embracing digital solutions – such as automated booking systems, cloud-based patient records, and AI-assisted diagnostics – which can further streamline operations, reduce the burden of repetitive administrative tasks, and free up time for clinical focus. Dental payment plans can also contribute to supporting worklife balance by providing a consistent

Rethinking work-life balance in dentistry

and predictable monthly income to the practice. This financial stability can reduce the pressure to overbook or extend working hours to meet revenue targets, allowing clinicians to plan their schedules more mindfully and sustainably. These solutions can create space for rest, reflection, and personal priorities – key ingredients for long-term professional fulfilment. Equally important is the prioritisation of mental health. Dentistry can be emotionally demanding and, without proper support, stress can accumulate quickly. Regular check-ins with oneself, mindfulness practices, access to professional counselling, or simply having a trusted peer to talk to can make a significant difference in maintaining emotional resilience. Taking breaks throughout the day, even short ones, can help reset the nervous system and improve focus. Ultimately, achieving balance may also require a shift in mindset. Redefining success, not as the number of patients seen or hours worked, but as the ability to deliver high-quality care while maintaining personal wellbeing, can be transformative. Sustainable dentistry is not just about clinical outcomes – it’s about creating a career that is fulfilling, manageable, and aligned with one’s values both inside and outside the practice.

As we move further into 2025, the message is clear: a thriving dental profession depends on more than clinical excellence -it requires balance, empathy, and sustainable working lives. Much like my lavender, which needed a break from the dry spell before it could bloom again and welcome life, we too need periods of rest to restore our energy and purpose.

The bumblebees I watched that morning reminded me of how easy it is to fall into a cycle of constant motion, always busy, always productive, but rarely pausing. In dentistry, where the demands are high and the stakes even higher, it’s essential we learn from nature: growth and vitality come not just from hard work, but from knowing when to stop, breathe, and let the rain do its work. By embracing this rhythm, we can cultivate not only healthier careers, but fuller, more balanced lives. n

about the author

lianne

Clinical Services lead at denplan.

The UK dental calendar hits its stride

A triumph in Birmingham as eyes turn to London

The British Conference & Dentistry Show (BDCDS) once again brought the dental community together for two jam-packed days of clinical education, networking and handson innovation at Birmingham NEC on the 16th and 17th of May. With over 400 exhibitors, 100+ worldclass speakers, and thousands of dental professionals in attendance, the NEC was buzzing with energy, ideas, and a shared passion for excellence across the entire dental team.

From the outset, the show offered something for everyone, from general dentists, specialists, dental hygienists and therapists, to dental technicians, practice managers, dental nurses, and suppliers alike. Attendees were treated to the very latest in dental innovation, with exhibitors showcasing everything from next-gen imaging systems and AI-based diagnostics to enhanced consumables and digital workflow solutions. There were live product demonstrations throughout the hall and countless chances for clinicians to experience, question, and interact with tools that are actively shaping the future of dentistry.

The atmosphere was electric. Shelly Smith from Durr Dental described the vibe perfectly: “There was such a buzz throughout the whole auditorium. It’s lovely to see dentistry back to what it used to be – and beyond.”

BDCDS has always been known for its ability to combine highlevel clinical content with genuine human connection, and this year’s programme delivered in spades. Attendees were able to claim up to 12 hours of enhanced CPD, choosing from 150+ accredited sessions delivered across 12 dedicated theatres. Topics ranged from implantology and aesthetic dentistry to digital innovation, patient communication, business management and team development.

Headline moments

Among the most talked-about features of the show was a compelling fireside chat in the BDA Theatre between renowned periodontist Dr Reena Wadia and former professional footballer and entrepreneur Gary Neville. In a conversation that bridged healthcare and high performance, Neville offered unique insights into leadership, resilience, and innovation – themes that resonated deeply with a clinical audience navigating both opportunity and challenge in today’s dental landscape.

The Digital Dentistry Theatre, hosted in collaboration with the International Digital Dental Academy (IDDA), was another major draw. It provided attendees with practical, hands-on insights into 3D printing, AI-powered diagnostic tools, and digital workflows that can be implemented immediately into practice. From diagnosis to delivery, the sessions gave dental teams a preview of how digital technologies are transforming treatment planning, patient experience, and overall efficiency.

Reflecting on the event’s continued success, Alex Harden, Portfolio Director at BDCDS organiser CloserStill, said: “It’s been another exceptional year. From world-class speakers and valuable networking opportunities to the energy across the aisles, stands, and theatres – it’s been a privilege to host it all under one roof. What we’re seeing is a profession that’s hungry for knowledge, connection, and inspiration and we’re proud to provide that platform.”

Looking ahead: Dentistry show London 2025

As the industry reflects on an incredible spring in Birmingham, all eyes are now turning toward the capital, where Dentistry Show London 2025 will take place at ExCeL London on the 3rd and 4th of October. Set against the theme ‘The Future of

Dentistry,’ this event promises to take everything BDCDS offers – education, innovation, and community – and apply it to the ever-evolving needs of a modern dental profession.

Whether you’re looking for new treatment strategies, smarter ways to grow your business, or a chance to test-drive the latest dental equipment, this show offers a collaborative environment to unite and thrive together.

New for this year is the Keynote Theatre, a headline stage dedicated to exploring the biggest themes in dentistry, including regulatory updates and government policy, futurefocused clinical advancements and AI integration in clinical workflows.

The London show will feature 100 speakers across six tailored theatres. Over 180 exhibitors and suppliers will also be showcasing their latest innovations and products for delegates to explore, and 100 hours of free enhanced CPD will also be available.

Networking opportunities will be abundant, with key decision-makers and major suppliers all under one roof. The exhibition will feature a blend

of established global brands, fastgrowing start-ups, key technology providers and training course organisers ready to support your professional development. Exclusive show-only offers and hands-on demonstrations will also be aplenty. If you missed Birmingham or want to build on what you learned there, Dentistry Show London 2025 offers another unmissable moment in the dental calendar. With education, innovation, and inspiration at every turn, it’s an ideal place to connect with peers, sharpen your clinical edge, and embrace what’s next. We can’t wait. For more information visit london.dentistryshow.co.uk n

In A Word: British Dental Conference & Dentistry s how 2025

What better way could there be to sum up the Dentistry Show 2025 than by asking some of the exhibitors and attendees to describe the exhibition in a single word? With so much going on, it was tougher than you might think! n

@dentistryshowCS

Dentistry Shows The Dentistry Show The Dentistry Show

Dentistry Shows The Dentistry Show

More bite.

Dentistry isn’t standing still - with rapid advancements in digital dentistry, AI and technology and new ways of treating patients appearing across every specialty. At DSL you will hear from 100+ internationally renowned speakers, be the first to try the latest products and services from 180+ exhibitors, boost your business knowledge and gain Enhanced CPD. Seize the innovations shaping the future and bring more bite to your practice.

london.dentistryshow.co.uk

‘And the winners are’ - Part Two

The

Probe proudly presents The 2025 Dental Awards

The 2025 Dental Awards marks the 27th edition of this prestigious event that, for more than quarter of a century, has sought to recognise the outstanding individuals and teams whose dedication and drive continues to raise standards throughout the UK dentistry profession. Winning or becoming a finalist in the Dental Awards is a tremendous accolade that provides a significant boost to the profile of a practice. Not only is the event an opportunity to share in the happiness and success

Front of House / Receptionist

of those who win an award, but it offers the chance to see what fellow dental professionals are doing across the United Kingdom.

The Dental Awards presentation, which streamed on the-probe.co.uk, as well as on The Probe’s Youtube channel, is available to watch on-demand now. Scan the QR code (below) to see the winners of The Dental Awards 2025 react to their victories, as well as to discover who was named a finalist in each of the 12 hotly contested categories.

Winner: Claire Smith, Community Dental Services CIC (CDS)

Claire should be so proud. The judges were impressed by her truly admirable dedication to patients and constant drive to improve their experience and go above and beyond. Outstanding.

Highly Commended: Erica Bryant, Chapel Dental

Finalists: Christine Bonanno, Ten Dental + Facial

Shauna Rebecca Church, Inspired Dental Care

Practice Manager

Winner: Nicola Bushell, Community Dental Services CIC Essex

The judging panel could instantly see – and gain insight into – what an outstanding practice manager Nicola is, as she supports her team while helping them to deliver the best care possible.

Highly Commended: Adele Marietti, Imogen Dental

Commended: Maiara Ban, ODL Dental Clinic

Finalists: Alex McWhirter, North Cardiff Dental

Chloe Phillips, Stella Dental

National Smile Month

Winner: NHS Ayrshire & Arran Oral Health Improvement Team

The NHS Ayrshire & Arran Oral Health Improvement Team effectively reached the entirety of a population, increasing dental attendance and improving oral health. There were no obstacles, with the team reaching everyone via children’s play areas, supermarkets, GP surgeries, care homes, prison, libraries and their own workplace.

Highly Commended: Community Dental Services CIC

Edinburgh Community Food and LINKnet Mentoring

Commended: Stradbrook Dental & Implant Clinic

The Dental Awards 2025 is brought to you by B.A. International, Colosseum Dental, Dental Elite, and Waterpik, in association with The Association of Dental Administrators and Practice Managers, British Association of Dental Nurses, British Association of Dental Therapists, British Society of Dental Hygiene and Therapy, and The Oral Health Foundation.

For more, visit https://the-probe.co.uk/awards/thedental-awards-2025/

NHS Ayrshire and Arran OHIT

To see the full list of our winners, highly commended, and finalists, and to watch the 2025 Dental Awards Presentation, scan the QR code or visit:

https://the-probe.co.uk/awards/the-dental-awards-2025/

Claire Smith
Nicola Bushell

Team of the Year

Winner: ODL Dental Clinic

A thorough and well-presented entry, highlighting ODL’s multicultural benefits in providing appointments/literature in a number of languages, clear patient pathways involving multiple team members, good leadership with focus on team empowerment and staff retention.

Highly Commended: Imogen Dental

Commended: University of Suffolk Dental CIC

Finalists: Serio Dental

Tooth Club UK

Practice

Winner: ODL Dental Clinic, London

Familiar with ODL from previous awards entries, the judges noted that the practice continues to serve as an exceptional clinic with a clear team focus resulting in the best care for their patients. The judges added that the Practice of the Year category featured an excellent level of submissions with teams clearly very dedicated to what they do both for their patients and the wider community.

Highly Commended: Pearl Dental, Bradford

Pure Periodontics Gum Specialist, London

Commended: Imogen Dental, Oxfordshire

Finalist: The Covent Garden Dental Practice, London

Website / Digital Campaign

Winner: ODL Dental Clinic

All of the criteria has been met with all the boxes ticked, and some! The judges enjoyed the site’s friendly feel, which offers plenty of oral health education alongside treatment options to assist with treatment acceptance. With no jargon to complicate the patient journey, there is plenty of clear information about treatments and what to expect. There is a friendly confidence across the whole site which should be recognised and awarded.

Commended: Hayden Dental, Carmarthen

Finalists: Bhandal Dental Practice

Serio Dental

Best Outreach or Charity Initiative

Winner: Edinburgh Community Food and LINKnet Mentoring

An outreach initiative that has really made a difference to a community. The judges felt that the initiative will have undoubtedly made beneficial changes to this community and the population’s oral health.

HighlyCommended: ODL Dental Clinic

Commended: The Rotters – Cazzie Phillips

Finalists: Imogen Dental

University of Suffolk Dental Community Interest Company

ODL Dental Clinic
ODL Dental Clinic

Getting to grips with tissue grafting

In many complex dental implant cases, the anatomy of a patient may, at first, appear unfavourable. After all, the dental implant has to comply with the surrounding hard and soft tissues to be viable – osseointegration is paramount for success, and poor gingival adaption can lead to the implant exposure and potential infection risks.

In cases where patients have lost bone or soft tissue around the implant site, clinicians need to remedy the situation to have confidence in a predictable result. Enter tissue augmentation, a key factor when treating complex cases that opens the door to new treatment opportunities.

Clinicians who already place dental implants but want to expand their skillset must understand how tissue augmentation can be utilised for a positive prognosis. They must also recognise favourable indications, and be knowledgeable about various augmentation approaches that are used in modern implant dental care.

Soft tissue indications

The role of peri-implant soft tissue is varied; adequate levels of keratinised tissue around an implant site lead to improved oral health, aesthetics and plaque control, as brushing discomfort is reduced compared to patients with insufficient keratinised tissue. Its ability to contribute to long-term stability is debated, with some literature finding no correlation between implant success and the presence of keratinised mucosa – others have found that implant sites without adequate keratinised mucosa exhibit an increased inflammation susceptibility and adverse periimplant hard and soft tissue reactions. The potential risks of higher plaque accumulation, inflammatory responses, soft tissue recession and attachment loss are cited, and signal that, where appropriate, a surgical intervention for soft tissue augmentation could be useful.

Of course, it is helpful to understand what the adequate level of keratinised mucosa is, as this will influence treatment planning. It is typically understood to be ≥2mm of keratinised mucosa width; this is the amount required to prevent soft-tissue recession, bone resorption, and to support oral hygiene routines. Note that keratinised mucosa width at peri-implant sites is typically around 1mm less than the keratinised tissue around contralateral natural teeth, supporting the need for soft tissue augmentation in many cases, especially where patients have previous issues with periodontal health.

augmenting the bone

Bone augmentation plays a key role in the placement of implants where there is insufficient hard tissue or defects in the maxilla and mandible. It is needed frequently in implant dentistry – findings in the literature

state 25% of implant treatments require a bone graft, others say it could be as many as 50% of all implants and 75% of those in the anterior maxilla – which means hard tissue augmentation has become a near essential skill for the modern implant dentist.

Bone resorption can occur before and after the placement of a dental implant. After a tooth extraction, the bone at the treatment site resorbs at different rates. As one example, the literature notes that extraction in the anterior maxilla prompts resorption mostly in the labial bone wall, accompanied by soft tissue recession. Incidences of traumatic dental injuries often inflict further horizontal and vertical bone atrophy, creating a greater need for bone augmentation in some of these cases.

On the link between atrophy and disease, marginal bone loss around the implant site does not lead to peri-implantitis – but patients cannot have the presence of peri-implantitis without this marginal bone loss. Some level of resorption around the neck of an implant can be explained as physiological remodelling after surgery or prosthetic loading, but this could become pathological and lead to an instance of peri-implantitis; the literature recommends that a 0.5mm of marginal bone loss post-loading is the criteria that differentiates a physiological stabilisation and the presence of pathological issues.

Hard tissue augmentation can facilitate the placement of a dental implant and create the greatest opportunity for long-term stability. Understanding why bone is resorbed is a key part of treatment diagnoses, which forms larger augmentation workflows.

High-quality education

After identifying when tissue augmentation should be utilised for the greatest opportunity for success, it is down to the clinician to safely and effectively implement it. However, clinicians can only do this if they are trained, competent and, ultimately, confident.

One to One Implant Education delivers the PG Diploma in Advanced Techniques in Implant Dentistry, a leading course for dental professionals looking to build on their established skills. The renowned course delves into soft and hard tissue augmentation, equipping clinicians with the skills to recognise clinical indications and implement successful restorations. Delegates also develop skills for full arch reconstruction, socket therapies, and much more.

Soft and hard tissue augmentation is imperative in modern implant dental care. Recognising when each may be implemented, and why, is important to ensuring patients are treated appropriately for a successful outcome.

To reserve your place or to find out more, please visit 121implanteducation.co.uk or call 020 7486 0000. n

about the author

Planning the next step in aligner therapy

Orthodontic treatment relies upon effective decision-making by the clinician in order to deliver a functional and aesthetic outcome.

To ensure predictable results, treatment planning must be comprehensive and detailed. In orthodontic care, clinicians may be familiar with the term ‘staging’, broken down further in some of the literature to ‘macro-staging’ and ‘micro-staging’. It refers to the breakdown of the intended movement of teeth in a sequential manner. Understanding how to effectively stage care is imperative, especially when taking on more complex cases.

understanding staging In the context of orthodontics, staging refers to intended movements over time. For example, it details how many steps are needed for a rotated incisor to be ideal positioned within the arch, with each increment envisioned and planned for. This is essential for every kind of orthodontic treatment, but especially so in complex cases where multiple movements may be occurring simultaneously (known as a simultaneous pattern), or one tooth may need to be adjusted first to allow for further amends across the dentition (a structured pattern).

The tooth that is moved the most throughout the staged treatment is referred to as the leading tooth. By breaking down the progressive movements of this tooth in particular, clinicians can judge the total number of aligner trays needed throughout care, and give an estimated time for completion.

The literature notes that slowing down tooth movement can lead to better tracking and predictability of results, especially with the use of clear aligners. By first staging the movements of the leading tooth, clinicians can slow down movements in other areas of the dentition alongside the same timeframe for the greatest success.

Little and large

Macro- and micro-staging is discussed in the literature to further breakdown the clinical understanding of staging orthodontic tooth movement. Macro-staging is the general biomechanical movement that must be achieved throughout the entire dentition for success; it is a comprehensive view of treatment within each arch.

the types of movement needed for each element, differentiating between buccolingual crown inclination or bucco-lingual root inclination changes, rotations, and more. This then allows clinicians to judge if and how they should create space for further movement, before carrying out compressions or extrusions that will typically block movement from other teeth. Whilst breaking down conventional approaches to staging into macro- and micro-staging can extend the time taken to formulate a treatment plan, the benefits are felt throughout the workflow. Focusing on each tooth’s needs with a micro-staging approach can help to minimise difficulties in the long-term by increasing predictability and safely accelerating the speed of completion.

developing knowledge

Staging, whilst it simplifies the orthodontic treatment process, is a complex task. It requires ample knowledge of tooth movements, and the possibilities afforded by modern clear aligner solutions. Implementing staging in complex cases can be especially difficult, but it is imperative to a successful treatment outcome.

As seen in the General Dental Council’s ‘Standards for the Dental Team’, clinicians must only carry out treatment that they are trained, competent and confident in completing with success. This includes orthodontic treatment that utilises staging for optimal outcomes.

dr Fazeela Khan-osborne is the founding clinician of the Face dental implant multidisciplinary team for the one to one dental clinic based on Harley Street, London.

When determining the predictability of success for macro-staging, clinicians must consider whether they wish to progress with a simultaneous pattern or structured approach (the latter being more favourable in many complex cases). The use of attachments, and the anticipated sources of anchorage should be considered also. The latter will change the course of treatment dramatically; whether patients require differential intra-arch anchorage, inter-arch anchorage with elastics, or skeletal anchorage, each will affect the treatment needs and timeframe. Identifying the impact each has is made possible with clinical experience and high-quality professional training.

The term micro-staging refers more closely to the movements of each individual tooth. An orthodontist must determine

The Clear Aligners (Level 2) course from IAS Academy helps clinicians develop their staging skills for predictable tooth movements, alongside insights into treatment planning for complex cases, staging interproximal reduction, and more. The one-day course is ideal for clinicians who have completed a handful of aligner treatments, but want to develop their understanding and capabilities with any system that they choose. Plus, delegates have access to a mentor after the course is completed, who can aid with guidance and insights throughout treatments. Correctly planning and carrying out staging for orthodontic tooth movement is imperative for success. Developing knowledge about what it means on a macro and micro level can increase predictability and reduce errors, leading to happier patients and dental teams.

For more information on upcoming IAS Academy training courses, please visit iasortho.com or call 01932 336470 (Press 1) n

about the author dr tif Qureshi, founder and a clinical director of iaS academy.

Directa Ceramir Paediatric Crowns: A new and innovative approach to restoring primary teeth

The management of dental caries in children is necessary because caries is a progressive disease which can eventually damage the tooth and can be detrimental to the permanent teeth and the child’s general well-being. As outlined in this clinical case, Directa Ceramir Paediatric Crowns are a simple solution which is aesthetic but also functional in providing an effective treatment option for the restoration of decayed primary teeth, by Dr. Desigar Moodley, Dr. Kunal Gupta and Dr. Stephan Lampl

Aims

To evaluate the clinical efficiency, advantages and innovation behind Directa Ceramir Paediatric Crowns as a modern alternative for restoring decayed primary teeth in children, with an emphasis on preserving aesthetics & function.

Objectives:

• To highlight the benefits of using materials other than stainless steel and zirconia.

• To present Directa Ceramir Paediatric Crowns as a minimally invasive, aesthetic, and functional solution for restoring primary teeth.

• To demonstrate the clinical application of Directa Ceramir Paediatric Crowns through a case study involving anterior tooth restoration

• To compare the material properties, preparation requirements, and patient outcomes between Directa Ceramir Paediatric Crowns and traditional alternatives

• To assess the broader clinical implications, including psychological and functional benefits for paediatric patients.

Learning Outcome: C

The main objective of restorative treatment in the paediatric patient is to repair or limit the damage from caries, protect and preserve the tooth structure, and maintain pulp vitality whenever possible.

Although stainless-steel crowns have proved to be successful in clinical treatment, the views of dental practitioners on the use of these crowns differ. The majority of general dental practitioners consider these crowns to be an impractical restorative technique for a busy daily practice and unsuitable for most children. 1

Guidelines on the use of stainless-steel crowns as set out by the British Society of Paediatric Dentistry have largely been ignored, as they do not reflect the views of the majority of general dental practitioners.1 In recent years, because of increased demand for aesthetics, prefabricated zirconia crowns have become increasingly popular.

Zirconia paediatric crowns, however, require a more aggressive approach with subgingival preparation margins to restore primary teeth, which can often lead to pulpal exposure because of the large pulpal chambers and high pulpal horns in primary teeth. Because zirconia crowns cannot be crimped, the clinician must prepare the teeth to fit the zirconia crowns. Therefore, an increase in preparation and fitting time is necessary. Furthermore, preparation of subgingival margins can often result in gingival haemorrhage, which

can compromise the retention of zirconia crowns. 2

To overcome the shortcomings of the above-mentioned treatment options, a minimally invasive, highly aesthetic paediatric crown was recently introduced to the market that is produced from a lasersintered and -vitrified composite. 3 This process improves the flexural strength of the crown to 550 MPa and produces a highly aesthetic glossy surface. 3 Directa Ceramir Paediatric Crowns are prefabricated crowns that are contoured to mimic the anatomy of the primary tooth and are supplied in various sizes for both anterior and posterior teeth for different clinical situations.

Clinical case report

A 4-year-old girl was referred to the Children’s Dental Center in Gurgaon in India with the complaint of painful teeth when eating and the presence of unsightly maxillary anterior teeth. Clinical examination showed large carious lesions in the maxillary anterior teeth. A radiographic examination showed pulpal involvement of caries in teeth #51 and 61.

The objectives of the treatment plan were first to alleviate pain and remove any pathology and then restore function and aesthetics. After rubber dam placement, routine endodontic treatment was performed on teeth #51 and 61 and the root canals were filled with

Vitapex (Neo Dental), a resorbable calcium hydroxide- based paste with iodoform. Since aesthetics was a priority, Directa Ceramir Paediatric Crowns were used to restore the four anterior teeth. Using a sizing gauge (supplied by the manufacturer) to determine the size, the appropriately sized crowns were selected.

All caries was removed using a round diamond bur, and mesial and distal reduction were achieved with a fine tapered diamond bur to open the interproximal contacts and to begin circumferential reduction. Buccal and lingual reduction were achieved with a round-ended straight fissure diamond point. All margins and the extent of reduction were dictated by the caries and kept to a minimum in order to preserve as much tooth structure as possible. The margins were kept supragingival.

The crowns were then checked for fit and prepared for the bonding procedure. The inside surfaces of the crowns were lightly roughened using a diamond football bur (RA 379), rinsed off and air-dried. Edelweiss VENEER Bond was applied to the inside of the crown and light-cured for 20 seconds.

The prepared tooth surface was etched with 37 per cent phosphoric acid for 10 seconds, and bonding agent was applied and light-cured for 20 seconds. Edelweiss composite in Shade A0 was added to the inside of the crown and placed over the prepared tooth, the crown was

seated firmly and excess composite was removed from the margins. Incisal edges and labial inclination were then assessed, and final curing was achieved with 20 seconds of light curing. A recall visit four months later showed no staining of the crowns and good gingival health.

Discussion

Dental aesthetics and retention of the anterior teeth may influence proper psychological development in childhood at an increasingly younger age, particularly through interaction with other children. 4 This is evidenced by an increase in the demand for aesthetics, rather than function, in primary tooth restorations. 5 To satisfy this demand, the market has recently seen a shift away from stainlesssteel crowns. Prefabricated zirconia crowns—such as NuSmile, Cheng Crowns and Kinder Krowns—are made of yttrium-stabilised zirconia, which is either milled or injection moulded. Zirconia crowns offer

superior aesthetics compared with stainless-steel crowns. However, in vitro fracture load studies, such as by Townsend et al., 6 showed variation in crown thickness and fracture between the zirconia crowns: statistically significant differences were found between the forces required to fracture zirconia crowns by the three different manufacturers, and the increase in force correlated with crown thickness. 6 The forces required to fracture the pre-veneered stainless-steel crowns were found to be greater than those required to fracture zirconia crowns made by any manufacturer. 6 With a flexural modulus of 20 GPa, the behaviour of Directa Ceramir Paediatric Crowns is similar to that of the natural tooth structure. 3

Directa Ceramir Paediatric Crowns imitate the form of natural primary teeth well and mimic the anatomy of the primary tooth. The mesial and distal margins of the Directa Ceramir Paediatric Crowns follow the natural gingival margin of the primary teeth, minimising excessive tooth reduction and removing the need to take margins subgingival unless caries dictates extension. Furthermore, because of the minimal preparation needed, there

CPD Questions

1. What is the primary material used in the fabrication of Directa Ceramir Paediatric Crowns?

A) Stainless steel

B) Laser-sintered barium glass

C) Zirconia

D) Composite resin

2. Which of the following is NOT a benefit of Directa Ceramir Paediatric Crowns?

A) High antibacterial properties

B) Plaque resistance

C) Similar abrasion to natural teeth

D) Requires extensive tooth preparation

3. What is the recommended method for cementing Directa Ceramir Paediatric Crowns?

A) Glass ionomer cement

B) Resin-modified glass ionomer cement

C) Edelweiss composite resin

D) Conventional zinc phosphate cement

4. Which of the following is a key feature of Directa Ceramir Paediatric Crowns?

A) Subgingival margins for better retention

B) Contoured to mimic the anatomy of primary teeth

C) Requires crimping to fit properly

D) Made from a single shade of composite material

is no risk of iatrogenic damage to pulp tissue of the primary tooth. These prefabricated crowns permit quick and safe treatment with maximum aesthetic results. Should retreatment be required, Directa Ceramir Paediatric Crowns offer the advantage of being easy to remove, as they can be cut in a way similar to dentine.

The morphology of the Directa Ceramir Paediatric Crown has similar cuspal features to that of a primary tooth, hence very little occlusal adjustment is needed. If it is needed, it can be done on the paediatric crown itself and not on the opposing tooth, thus preserving the natural tooth structure, unlike zirconia crowns, for which any occlusal adjustment has to be done on the opposing tooth, causing unnecessary damage to the opposing tooth. Furthermore, the natural abrasion of crowns and the flexural modulus— similar to that of a natural tooth—may make these crowns more tolerable in the child’s mouth and kinder to the temporomandibular joints.

Conclusion

Directa Ceramir Paediatric Crowns provide a simple and effective treatment option for the restoration of decayed primary teeth that is aesthetic but also functional, making it a superior alternative to both stainless-steel and zirconia crowns.

References

1. Threlfall AG, Pilkington L, Milsom KM, Blinkhorn AS, Tickle M. General dental practitioners’ views on the use of stainless steel crowns to restore primary molars. Br Dent J. 2005 Oct 8;199(7):453–5; discussion 441. doi: 10.1038/sj.bdj.4812746.

2. Lee JH. Guided tooth preparation for a pediatric zirconia crown. J Am Dent Assoc. 2018 Mar;149(3):202–8.e2. doi: 10.1016/J.ADAJ.2017.08.048.

3. Edelweiss Dentistry. Breakthrough in pediatric dentistry; 2018 [cited 2019 May 21]. Available from: https://www. edelweissdentistry.com/wp- content/ uploads/2018/02/PedoCrownsBrochure_02_2019_WEB.pdf.

4. Lourenço Neto N, Cardoso CA, Abdo RC, da Silva SM. Oral rehabilitation in pediatric dentistry: a clinical case report. Rev Gaucha Odontol. 2016 Jan–Mar;64(1):87–92. doi: 10.1590/1981863720160001000131064.

5. An SY, Shim YS. Esthetic restoration of deciduous teeth using prefabricated zirconia crown in children with early childhood caries: a report of three cases. J Dent Hyg Sci. 2018 Jun;18(3):194–200. doi: 10.17135/ jdhs.2018.18.3.194.

6. Townsend JA, Knoell P, Yu Q, Zhang JF, Wang Y, Zhu H, Beattie S, Xu X. In vitro fracture resistance of three commercially available zirconia crowns for primary molars. Pediatr Dent. 2014 Sep–Oct;36(5):125–9. doi: 10.1016/0090-4295(93)90521-B. n

The role of glass hybrids as an alternative to dental amalgam

As the phase-down of dental amalgam gathers pace, this CPD article from Wayne John, Clinical and Technical Specialist at GC UK, gives an update on the glass-hybrid restorative materials ready to replace it.

Aims

This article highlights the need for alternative restorative materials to match the strength and longevity of dental amalgam.

Learning objectives:

• To give readers an understanding of the issues surrounding the use of dental amalgam.

• To provide readers with an overview of the development of glass-ionomer materials.

• To give readers an understanding of the clinical advantages of glass-hybrid restoratives

Learning Outcome: C

Dental amalgam has been in use and extensively studied for over 150 years as a restorative material and remains an option for use in some clinical situations.i Its relatively low cost, ease of handling, high compressive strength and good wear resistance have all contributed to its success.

The clinical placement of dental amalgam is not as technique-sensitive to operating conditions - such as the presence of saliva in the oral cavity - compared with most other adhesive restorative materials.

ii Currently, dental amalgam is still used as a restorative dental material for definitive restorations in the UK NHS.iii

However, in spite of these characteristics, dental amalgam has several drawbacks. Dental amalgam is made from a mixture of different metals, including silver, copper, tin, zinc and crucially, mercury. Reaction to rising health concerns about mercury has already seen stringent regulations put in place to phase down amalgam use and ensure safe disposal in dental practices, in line with the Minamata Convention on Mercury, which came into force in 2017.

As of January 2025, the use of dental amalgam has been banned in the European Union, with a ban on the manufacturing and export of dental amalgam in force from 1 July 2026.iv

Greater awareness of the environmental and health impacts of mercury means many patients support the move away from dental amalgam. Another driving factor for patients is its poor aesthetics and the increasing availability of toothcoloured, mercury-free alternatives.

The search for alternatives

The EU ban on dental amalgam, and the UK’s subsequent ‘phase-down’ of the use of the material, has added further impetus to the search for mercury-free alternative materials that can match the strength, moisture tolerance and longevity

of dental amalgam, whilst improving on aesthetics and bio-activity - all part of the minimum intervention oral care (MIOC) framework.v

As a leader in restorative materials, GC has been pioneering new materials to rival dental amalgam, including injectable resin composites, fibre-reinforced resin composites and glass-hybrid ionomer cements. Choosing between them depends on the specifics of the case in hand.

Glass ionomers

Glass-ionomer materials have been available for use by clinicians for almost 50 years. Their beneficial properties - including direct chemical adhesion to tooth substance and slow fluoride release - have long been recognised, but early materials suffered from brittleness, lack of translucency, poor wear resistance and solubility in oral fluids. vi

In recent years, glass-ionomer restoratives have improved significantly in terms of their overall mechanical properties, moisture tolerance, aesthetics and setting time. However, their clinical application has been typically limited to use in non-loadbearing restorations. Therefore, the need arose for the development of restorative systems that improved the early physical properties while maintaining the unique advantages of

Courtesy of Dr. Zeynep Bilge Kütük, Turkey
Amalgam alternatives from GC

CPD Questions

1. When did the EU ban on dental amalgam come into force?

a. June 2025

b. January 2024

c. January 2025

d. December 2024

2. Glass hybrids:

a. are not moisture tolerant

b. are hydrophilic

c. contain mercury

d. require a bonding agent

glass ionomers to allow for a wider range of clinical uses.vii

Glass-hybrid technology

In 2007, GC introduced the pioneering EQUIA glass-ionomer restorative system which expanded clinical indications to include Class I and Class II preparations. In 2015 GC introduced revolutionary glass hybrid technology with a new material, EQUIA Forte that combined to make an even stronger, posterior bulk fill material.

Building on the clinically proven and successful EQUIA family, EQUIA Forte™ HT has taken glass-ionomer technology further still - a strong, biocompatible bulk fill restorative system (Fil and Coat) with an excellent long-term success rate, even in posterior load-bearing cavities.

Moisture tolerance

Glass hybrids are hydrophilic and therefore withstand the humidity of the oral environment or the dentine-pulp fluid flow in tubules. viii This makes glass hybrids ideal for use when isolation is difficult to achieve as their moisture tolerance enables quicker and more efficient placement of restorations, while often making the use of rubber

Brought to you by

3. A polyacrylic dentine conditioner:

a. removes the dentine smear layer

b. conditions dentine

c. conditions enamel

d. all of the above

4. Glass hybrids:

a. require a bonding agent

b. require no bonding agent

c. have no resistance to micro-leakage

d. lack adhesion to dentine

dam optional.

As glass ionomers set, they require an element of moisture as part of the setting reaction, unlike resin composite where the tooth must be kept completely dry. However, the moisture still needs to be controlled. Too much moisture can lead to a risk of inadequate adhesion and/or the material not setting properly and therefore the restoration can be more prone to long-term failure.

No bonding agents

While resin composite requires a specific bonding process, glass hybrids have no need for a bonding agent as they chemically bond directly to dentine, enamel and cementum to create a strong, stable and chemically fused seal for long-term resistance to micro-leakage.

With unlimited depth of cure and virtually no shrinkage due to the absence of resin monomers, a minimally invasive approach can be achieved as only infected dentine needs to be removed when managing deep carious lesions.

To optimise adhesion, it is recommended to use a polyacrylic dentine conditioner designed to remove the dentine smear layer and to condition dentine and enamel before application of the glass-ionomer restorative.

Surface coating

Glass-ionomer cements (GICs) undergo a rapid initial hardening reaction, but continue to undergo a setting reaction for some time after this hardening is complete. These later processes are known jointly as maturation,ix and can take days or even weeks.

During the setting reaction, GICs are susceptible to excess water uptake and water loss, both of which can significantly affect the chemical and mechanical properties of the set material.x Applying a protective resin coating, such as EQUIA Forte Coat, to the material during the initial setting phase can improve surface hardness and wear resistance during the initial setting period, when it is most susceptible to water uptake or dehydration.

Looking beyond dental amalgam

While no single material fulfils all the requirements of a dental amalgam replacement, clinicians must look beyond dental amalgam to a wide range of readily available materials, which together will provide all the alternatives they need, with the substantial additional advantages of improved aesthetics, a lower environmental impact and sustainability.

Speaking to GC about the advances in glass-hybrid technology and the move away from dental amalgam, Avijit Banerjee, Professor of Cariology

& Operative Dentistry, Faculty of Dentistry, Oral & Craniofacial Sciences, Kings College London said: “These are exciting times for dentistry. There is a real drive for change with a push away from mercury and dental amalgam, towards prevention and more sustainable materials.

Glass-ionomer cements have been around since the mid-70s and were widely indicated as provisional restorations, with dental amalgam as the definitive restorative material. As material science has developed and clinical trials have tested the latest formulations, there is now growing clinical evidence that glass-hybrid GICs can be used successfully in occlusal posterior restorations.

“If oral healthcare teams can help patients into the situation where they do not need to have teeth filled, that is the most sustainable and socioeconomic method of caring for people, but for now there will continue to be dental disease that needs to be treated minimally invasively - and these glasshybrid ionomer cements will form an important part of that armamentarium for clinicians.”

References

i. Amalgam ban may hasten NHS dentistry’s demise. Br Dent J 236, 149 (2024). https://doi.org/10.1038/ s41415-024-7073-9

ii. Y. Uçar, W. Brantley, Biocompatibility of dental amalgams 2017, Pages 95-111

iii. https://www.bda.org/media-centre/ government-failure-on-amalgam-bancould-break-nhs-dentistry/

iv. Council of the European Union Press Release, 30 May 2024.

v. Banerjee A et al, Minimum intervention oral care - incentivising preventive management of high-needs/high caries-risk patients using phased courses of treatment, British Dental Journal 236, 379-382 (2024)

vi. Fifty years of glass ionomers (GICs). Are the latest GICs suitable for restoring back teeth? FJ Trevor Burke, Louis Mackenzie, Peter Sands. Dental Update 2025 50:5, 437-446. vii. https://compendiumlive.com/2021/ glass-hybrid-restorations-forlong-term-success/glass-hybridtechnology-for-long-term-restorations/ viii.https://www.gc.dental/europe/sites/ europe.gc.dental/files/products/ downloads/equiaforteht/manual/ MAN_Comprehensive_Guide_EQUIA_ Forte_HT.pdf

ix. Nicholson JW. Maturation processes in glass-ionomer dental cements. Acta Biomater Odontol Scand. 2018 Jul 31;4(1):63-71. Conventional glass-ionomer cements: a guide for practitioners. Petros Mylonas, Jing Zhang, Avijit Banerjee. Dental Update 2025 48:8, 643-650. n

About the author

GC United Kingdom Ltd.

Main indications for EQUIA Forte HT

swe-Flex offers hands-free aspiration and provides undreamt-of freedom of use

Hager & Werken presented Swe-Flex, a new disposable dental suction system and saliva ejector.

Putting practice sales in even safer hands

Swe-Flex is a practical suction aid that combines the functions of a tongue shield and a saliva ejector. This makes it ideal for working comfortably and efficiently in the oral cavity, ensuring a high level of patient comfort and acceptance. It is very easy to use. Swe-Flex is simply positioned in the lower jaw, between the tongue and the row of teeth. Thanks to its special shape, it stabilises automatically and remains securely in position.

Planmeca is delighted to announce the unveiling of our brand new mobile showroom PlanDemo. Packed with the latest in cutting-edge technology, our new vehicle provides the perfect opportunity for you to explore our full product range at a time and location that suits you.

On board, you can try out the innovative Compact i5 dental unit which is kitted out in sumptuous Metallic Gold Ultra Relax upholstery.

See just how easy it is to use the ProMax 3D Classic CBCT imaging unit first hand, and the high-quality clinical images it produces.

Experience the rich selection of tools

Another advantage is that the dental assistant has both hands free, allowing them to concentrate fully on applying or mixing materials without saliva or liquids interfering with the lingual working area. Working without an assistant is also made considerably easier with Swe-Flex.n

www.hagerwerken.de/en/

Plandemo is ready for you!

and features available in Romexis with a software demonstration, and find out how same-day dentistry can be incorporated into your surgery with the PlanMill 35 milling unit.

We can’t wait to show you NEW PlanDemo! Go to www.planmeca.com/ plandemo to book your demonstration today and we’ll take care of the rest!n

safe & cost Effective disinfection

V-WIPE ZERO Classic are the most economical wipes in the Bossklein range, providing ultimate value for money and excellent performance. Each wipe measures 200x200mm and each pack contains 200 ready to use wipes. Reusable dispenser tubs are made from 35% recycled plastic and available alongside economical refill packs. Alcohol free solutions are safer and kinder to materials. Modern advancements in active raw materials provide top level performance with almost universal compatibility.

The fast acting (60 sec) formulation contains no alcohol and takes advantage of safer and greener plant-based ingredients to create a more effective product. Ideal to use on most wipeable surfaces, including those sensitive to alcohol like the dental chair. Wipes have a pleasant apple aroma. For more information call 0800 132 373 or visit www.bossklein.com n

At the recent ADI Team Congress, the Next Gen programme presented an array of inspirational professionals who offered practical advice to help colleagues build a successful career in implantology. Key themes throughout the day included building good habits as a profession to both reduce complications and grow the implant business and the importance of treatment planning. The Congress also provided a platform for connecting with like-minded professionals, for engaging with the industry and making new friends across the field.

Attendee, Dr Junaid Patel, commented: “The speakers were very good, engaging and approachable. The range of topics was great as well. I would recommend the

ADI Team Congress to others.”

To start building a long and successful career in dental implantology, the ADI can help. The Next Generation community provides numerous opportunities to immerse yourself in the implant world, to find mentors, be inspired and advance your skills. Find out more and join today!

Save the dates for the next ADI Team Congress – 6-8 May 2027, Liverpooln

Lily Head Dental Practice Sales is delighted to announce that we are bringing a Transaction Manager into the team. We are committed to making dental practice sales as smooth and stress-free as possible for our customers. With the addition of this role, customers will benefit from added support on the legal aspects of their sale and enhanced management at every stage of the process.

At Lily Head Dental Practice Sales, we’re always making changes to our structure to ensure that each sale is treated with the utmost care and attention, securing the

• BeautiBond Xtreme: All-in-one universal adhesive with high bond strength, suitable for all etching techniques.

• BEAUTIFIL Flow Plus-X: Versatile, fluoride-releasing hybrid composite in 2 viscosities, perfect for Class I-V restorations.

• Super-Snap X-Treme Polishers: Achieve a flawless finish with our enhanced polishing disks for ultimate patient comfort.n

Adapt and thrive

The 3M™ Filtek™ Easy Match Restorative from Solventum, formerly 3M Health Care, helps clinicians deliver aesthetic restorations to their patients.

With just three shades – Natural, Bright and Warm – you can intuitively choose the right solution for your patient, saving time in each appointment and delivering confidence in the final result.

A naturally-adaptive opacity means that it delivers both dentine and enamel opacities without a blocker, dependent on the volume of restorative used. This means you can deliver the ideal enamel-like translucency at the bevel and incisal edge, where it’s needed most.

The 3M™ Filtek™ Easy Match Universal restorative uses the same nanotechnology

BioHorizons Camlog presents today’s best-in-class connection designed to optimise outcomes with immediate implants.

behind our leading 3M™ Filtek Dental Restoratives, ensuring excellent wear resistance and strength, with brilliant polish retention to match.

To learn more about Solventum, please visit www.solventum.com/en-gb/home/oral-care/ For more updates on trends, information and events follow us on Instagram at @solventumdentalUK and @ solventumorthodonticsemea ©solventum 2024. solventum, the s logo and Filtek are trademarks of solventum and its affiliates. 3M is a trademark of 3M company.n

solventum.com/en-gb/home/oral-care/

The brand-new Tapered Pro Conical implant combines the macro design of BioHorizon’s Tapered Pro implant with the patented Camlog connection for ultimate stability, predictability and aesthetics. Its design minimises micromovement and thread design increases primary stability compared to other implants available. Platform-switching preserves the crestal bone and facilitates soft tissue healing for superior aesthetic outcomes too. Though ideal for immediacy, the Tapered Pro Conical implant is also suitable for a delayed placement approach, and can be used alongside the Pro Guided and Pro Freehand Surgical Kits for total clinical flexibility.

Discover why the Tapered Pro Conical implant from BioHorizons Camlog offers the new best-in-class connection today!

For more information on the innovative Tapered Pro Conical implant from BioHorizons Camlog, please visit https://theimplanthub.com/taperedproconical/n

www.the-probe.co.uk

Fluoride treatment made simple switching practice management systems

Solventum, formerly 3M Health Care, shares your passion for exceptional patient care, and delivers industry-leading solutions like the 3M™ Clinpro™ Clear Fluoride Treatment to support individuals with ease. The water-based, rosin-free formula is ready to apply and provide protection to enamel and dentine surfaces. With a unique and easy-to-use L-Pop single dose delivery system, it has never been simpler to apply fluoride treatments in a straightforward appointment.

Your patients will love the comfort provided by the 3M™ Clinpro™ Clear Fluoride Treatment too, with three great options to choose from – a Flavourless solution, or Watermelon and Mint flavours. It glides across the teeth for a slick

in-mouth feel, and needs a minimum contact time of just 15 minutes.

The 3M™ Clinpro™ Clear Fluoride Treatment is designed to make it easy for your patients to say “yes”.

To learn more about Solventum, visit www.solventum.com/en-gb/home/oral-care/

For more updates on trends, information and events follow us on Instagram at @solventumdentalUK and @ solventumorthodonticsemea ©solventum 2024. solventum, the s logo and Filtek are trademarks of solventum and its affiliates. 3M is a trademark of 3M company.n

overcome orthodontic obstacles

When it comes to protecting the teeth during orthodontic treatment, patients may struggle to keep their aligners clean, leading to plaque build-up on the teeth.

For a simple yet effective oral hygiene product, the Aligner Foam from Curaprox can elevate the orthodontic experience. An ideal supplement to toothbrushing and interdental cleaning, its unique formula incorporates natural minerals that enrich the teeth, forming a silkysmooth shield to moisturise the oral cavity. Easy to use, patients can apply it directly to the teeth and use their tongue to spread it evenly, or they can put it on their retainer, plastic aligner or mouthguard before wearing them. The Aligner Foam’s simplicity and satisfying freshness encourages patient compliance, ensuring they complete their orthodontic

To secure the best talent for your dental practice, it makes sense to work with the industry’s most respected dental recruitment agency with a large pool of excellent dental professionals on its books. Dental Elite offers a tailored recruitment service to find you the most skilled candidates that align with your culture and can hit the ground running. Whether you are an independent operator, a small group, or a corporate seeking permanent team members or locums, Dental Elite can help.

When asked about her experience with Dental Elite’s services, Sharon Shenton was delighted to contribute this testimonial:

“The recruitment team’s patience and hard work made a potentially stressful

treatment with strong, healthy teeth.

Curaprox products are designed to optimise oral health. By recommending solutions such as the Aligner Foam, dental practitioners can help orthodontic patients on their journey towards a long-lasting smile.

To arrange a Practice Educational Meeting with your Curaden Development Manager please email us on sales@curaden.co.uk

For more information, please visit www.curaprox.co.uk and www.curaden.co.uk n

Jodie Thomas, a practice manager for Garden City Dental, oversaw a transition from R4+, a Sensei Product, to Sensei Cloud from Sensei, the practice and patient management brand of Carestream Dental.

She spoke about her experience with support from the Carestream Dental team and the overall transition between systems: “It was lovely to have online training beforehand and to be able to do that on our own time. We could prepare at our own pace, without it disrupting our workday. “The team still instinctively ask for my help with the new software when they can’t figure something out, like they used to with R4+. But now, with Sensei Cloud, I point them to the online support chat in the corner of the platform and it takes them right to Support. Even one of our dentists was able to get imaging support

after hours recently.

“We know that we’re always going to get good service and support with Carestream Dental.”

Sensei Cloud is an advanced practice and patient management system that gives practice teams greater control over scheduling, business and financial insights, and direct patient communication.

For more information on sensei cloud visit https://gosensei.co.uk/

For the latest news and updates, follow us on Facebook and Instagram @carestreamdental.ukn

gosensei.co.uk

the surgery of your dreams

The experienced team at Clark Dental has been working alongside dental professionals for over 49 years, providing hundreds of practice refurbishments. This gives Clark Dental the expertise to understand dental professionals’ needs on a deeper level – enabling the team to offer a tailored experience every time.

Alongside this valuable capability, Clark Dental offers some of the most highquality equipment on the market. So, whether clients are seeking to refurbish a single chair surgery, or a new build, their needs will be satisfied.

To ensure Clark Dental customers receive exactly what they envisioned, the team provides a bespoke 3D visualisation service, enabling them to see their dream

practice in a stunning 3D render.

For more information about the dental surgery design service from Clark Dental, please visit the website and get in touch.

For more information call Clark Dental on 01268 733 146, email info@clarkdental.co.uk or visit www.clarkdental.co.ukn

time so smooth and streamlined. They kept us informed every step of the way and were always extremely professional, friendly and helpful.

The candidate they put forward was perfect for the role.

“We would definitely use Dental Elite again in the future for recruitment, and would without a doubt recommend their services to others.”

For more information on Dental Elite visit www.dentalelite.co.uk, email info@dentalelite.co.uk or call: 01788 545 900 n

Building relationships for life

At EndoCare, we aim to build long-term professional relationships with our referring dentists. This means we will get to know you and how you operate, providing any support that is needed.

When it comes to your patients, we will also update you on their progress at every stage, ensuring you are heavily involved throughout their referred treatment journey. Our team then remains available to you should you have any queries regarding posttreatment care.

To build a long-term referral relationship with a team you can trust, contact EndoCare today.

For further information about the endodontic referral services available from EndoCare, please call 020 7224 0999 or visit www.endocare.co.ukn

Dr Michael Sultan of EndoCare recently joined DeNovo Dental Partners, utilising the innovative shared ownership model to reduce his management responsibilities while continuing to provide first-class dentistry in his practice. He says:

“The idea that I could share ownership of the practice, receiving both an upfront payment and the opportunity for further payouts down the line as both the practice and the broader group grew, was hugely appealing. It’s the gift that keeps on giving!

“I also retain full clinical autotomy and I can taper my involvement at any time beyond the agreed initial period.

“The DeNovo team have been incredibly helpful, remaining communicative and on my side every step of the way. They were

a great source of support and I have found them to be decent people – this entire partnership is based on trust.

“We expect the business to grow in the coming years thanks to the DeNovo partnership, which will afford greater networking and teamwork opportunities that could be phenomenal.”

Find out if DeNovo is right for your practice’s future by visiting: www.denovo.partners todayn

time to switch dental plan provider?

So, you realise the benefits of providing dental plans to your patients, but you’re not sure your current programme is allowing you to maximise on the opportunities? Switching is made simple with IndepenDent Care Plans (ICP).

All you need to do is book a meeting with our Business Development Consultant, who will visit your practice at a convenient time to explain the process and help you explore what ICP has to offer. They will also evaluate your current plan registration procedure to increase efficiency and give the business a boost.

ICP provides two decades of experience in the dental profession, with a team that maintains open communication and a personal touch. Find out more about

First of its kind

Radiolucency underneath existing restorations can lead to misdiagnoses further down the line. Patients may undergo treatment that is too invasive for their clinical status, simply because of the materials used when providing the initial restoration.

The 3M™ Scotchbond™ Universal Plus Adhesive from Solventum, formerly 3M Health Care, is the first universal adhesive with dentine-like radiopacity, helping to overcome confusion.

The one-bottle system doesn’t require a separate primer or silane, and instead helps clinicians deliver effective treatments with simplicity.

Powerful adhesive qualities make the 3M™ Scotchbond™ Universal Plus Adhesive a reliable solution, as it offers the same high bond strength to caries-affected dentine as it does to sound dentine. This helps with minimally invasive care, for improved patient outcomes.

Learn more about the 3M™ Scotchbond™

Universal Plus Adhesive from Solventum by contacting the team today.

To learn more about Solventum, please visit https://www.solventum.com/en-gb/home/oral-care/

For more updates on trends, information and events follow us on Instagram at @ solventumdentalUK and @solventumorthodonticsemea

©solventum 2024. solventum and the s logo are trademarks of solventum and its affiliates. 3M and scotchbond are trademarks of 3M company. n

outstanding diagnostic imaging

Clark Dental has 50 years of experience with dental professionals, making its team uniquely qualified to offer tailored advice and recommendations surrounding dental equipment and practice design.

Clark Dental understands that, no matter the treatment types you’re offering – be it orthodontics, oral surgery, or dental implants – high-quality imaging is required to deliver an accurate diagnosis.

The Orthophos S from Clark Dental, for example, is a true all-rounder offering 2D and 3D capabilities applicable across a wide range of dental treatments – even in the most clinically challenging cases.

A match made in heaven

Achieving 100% clean teeth can be a daily standard when using the Super Duo pack from Curaprox, marrying the CS 5460 toothbrush with the CPS interdental brush for an unbeatable combination in oral prophylaxis.

With the CS 5460 toothbrush, patients can harness the thin, gentle, yet effective Curen filaments to remove plaque from 70% of the teeth surfaces, utilising the octagonal handle and densely-packed, angled brush head to complete phase one of the daily routine.

Subsequent use of the CPS interdental brush tackles the remaining 30%, moving in and out of the interdental spaces and removing trapped food particles and harmful bacteria with ease. For optimal results, the Super Duo pack also includes a Duo brush

New waste management regulations came into play on 31st March 2025, called the ‘Simpler Recycling’ initiative, and your dental practice may need to fall in line with them immediately.

Simpler Recycling requires all businesses and non-domestic premises with over 10 employees to separate food waste, dry recyclables and residual waste. Support from Initial Medical, which has set the standard in healthcare and controlled waste management in the UK, can help ensure your workflows are completely compliant. The Initial Medical team can advise on these new regulations remotely or in-person, helping you make the right changes to move towards a zero waste, circular economy.

On top of expert knowledge and years of

The team will help you select the best option for you, enabling you to provide treatment with accuracy, skill, and care. Find out more today.

For more information call Clark Dental on 01268 733 146, email info@clarkdental.co.uk or visit www.clarkdental.co.ukn

holder, allowing patients to place both the CPS 07 and 09 interdental brushes together for a superior handling experience. The pairing of the two Curaprox brushes – available in different colours – is ruthlessly simple, demonstrating the ease with which patients can keep the oral cavity fully clean. Recommend today.

To arrange a Practice Educational Meeting with your Curaden Development Manager please email us on sales@curaden.co.uk For information, visit www.curaprox.co.uk and www.curaden.co.ukn

experience in aesthetic waste management, clinicians can also go to Initial Medical for specially designed waste containers. These include specialist sharps disposal bins, which are puncture-proof to minimise injury risks, and colour-coded to follow Health Technical Memorandum 07-01.

Contact Initial Medical today to learn more about the support you can access as you make improvements to your waste workflows. To find out more, get in touch at: 0808 304 7411 or visit the website today www.initial.co.uk/medicaln

New possibilities with the cs 8200 3d Advance Edition

The all-new CS 8200 3D Advance Edition from Carestream Dental has arrived, and delivers even more possibilities for exceptional CBCT scanning in your practice today.

Extended fields of view now reach up to 16 x 10 cm, capable of scanning the full jaw, including the TMJ and the airway. New opportunities are afforded to clinicians who can scan the full mandible and maxilla, or bilateral TMJ. To minimise exposure for patients, a localised exam can also be performed, as small as a specialised 4 x 4 cm field of view.

Clinicians can also take the next steps in their workflow with automated AI-powered implant planning*. The software simplifies and

accelerates each step, by automating case set up, data matching with digital impressions, and even automated virtual crown design and implant placement based on all available anatomical information.

The CS 8200 3D Advance edition changes the way dentists work, opening up new possibilities for everyday and advanced treatments.

*Work in progress, available for sale starting Q3 2025

For the latest news and updates, follow us on Facebook and Instagram @carestreamdental.ukn

submicron hybrid brilliance

BRILLIANT Bulk Fill Flow from COLTENE is the ideal submicron hybrid bulk filling material for fast and easy restorations. Based on the BRILLIANT filler technology it is compatible with BRILLIANT EverGlow and EverGlow Flow, making it the perfect partner. As no liner or covering layer needs to be applied, unlike with other competitive materials, it stands out through the simplicity of its workflow. With high compressive and flexural strength, this versatile substance offers high resistance to masticatory forces making it ideal for restoring posterior teeth.

BRILLIANT Bulk Fill Flow is indicated for direct restorations of all cavity classes, luting and repair of composite, ceramic restorations and luting of retainers.

The optimised monomer composition leads to lower water sorption, which in turn supports excellent long-term colour stability of the composite. Contact the team to find out more! For more information, visit https://colteneuk.com/BRILLIANT-Bulk-Fill-Flow email info.uk@coltene.com or call: 0800 254 5115.n

Eschmann: six decades of experience in autoclave production

Eschmann, the experts in decontamination, provides an array of industry-leading Little Sister autoclaves to suit the needs of any dental practice. Building on more than 60 years of experience in autoclave design and manufacture, the product portfolio is designed for durability, efficiency and reliability.

The latest range features vacuum and non-vacuum solutions, with 11, 17 and 23 litre capacities. The USB cycle data recorder, with the option to upgrade to the MyEschmann Hub with MyEschmann Cloud cycle data management, also digitises record keeping for a highly efficient workflow. Plus, the Little Sister range of equipment

The world of dentistry isn’t only clinical care – join Prav Solanki on the Sales & Communication Mastery for Dentists & TCOs course from IAS Academy and unlock the business potential within your practice.

This is the perfect opportunity to bring members of the practice team up to speed on marketing and communication strategies that ensure more patients receive the care that they need.

With simple, actionable insights taken from more than a decade presiding over a successful practice group and leading dental growth agency, marketing scientist Prav Solanki offers a fresh look at the strategies that need to be implemented by your practice.

can be protected by the Eschmann Care & Cover maintenance and servicing package, which includes unlimited breakdown cover, Annual Validation and PSSR certification, unlimited original parts and labour, rapid telephone support, on-site assistance from a team of 50+ Eschmann-trained engineers and Enhanced CPD user training.

For more information on the equipment and support services, please visit www.eschmann.co.uk or call: 01903 753322 n

Alongside modern communication techniques, including email, SMS, WhatsApp and voice note use, Prav helps practices articulate their USPs to engage closely with patients. Plus, dental teams can find out how to best utilise reviews and video testimonials for effective results.

Learn more about the Sales & Communication Mastery course from IAS Academy by contacting the team today. For more information on upcoming IAS Academy training courses, please visit www.iasortho.com or call 01932 336470 (Press 1) n

Award winners boost clinical care

A comfortable syringe, the simplicity of one reliable cement, and excellent engineering of a new syringe and tip are all reasons the 3M™ RelyX™ Universal Resin Cement from Solventum, formerly 3M Health Care, has been an award-winning solution for five years straight.*

An outstanding self-adhesive bond strength means the 3M™ RelyX™ Universal Resin Cement is reliable in a wide variety of clinical cases, with bond strength equivalent in both lightcure and self-cure modes.

Easy-to-attach Micro Mixing Tips make applications simple, and thin elongation tips ensure root canal treatments can progress predictably.

Whether you need to provide veneers or an adhesive bridge, inlay/onlays or crowns, this is the cement you want in your corner.

Choose award-winning solutions from Solventum and treat patients with confidence. Speak to the team today to learn more.

To learn more about Solventum, please visit www.solventum.com/en-gb/home/oral-care/

For more updates on trends, information and events follow us on Instagram at @solventumdentalUK and @ solventumorthodonticsemea

©solventum 2024. solventum, the s logo and relyX are trademarks of solventum and its affiliates. 3M is a trademark of 3M company.n

An effective alternative for NHs patients

If you are moving away from NHS dentistry, or looking to do so in the near future, offering dental plans could provide the ideal transition for your patients.

IndepenDent Care Plans offers the perfect solution with highly-tailored private dental plans that meet the needs of both your patients and your practice. They are designed to make routine dental care more affordable for more people, helping patients receive the treatment they need, even when you no longer offer NHS dentistry.

At IndepenDent Care Plans, we will ensure your entire team is confident in knowing how the plans work and how to effectively

promote them to patients. We will remain by your side every step of the way, with our Business Development Consultants only ever a phone call away. To offer your patients an alternative to NHS dentistry, consider dental plans from IndepenDent Care Plans. Find out more at ident.co.uk or call: 01463 222 999 n

the future of dentistry is 3d printed

3D printing is revolutionising dentistry. With the one-of-a-kind digital ecosystem of technologies from SprintRay, dental practices can significantly enhance both their professional workflows and their patient care.

As the only provider of a comprehensive digital portfolio for dental 3D printing workflows, SprintRay offers various equipment and materials designed to optimise accuracy, speed and efficiency. Easy to use and implement, with open source systems and intuitive interfaces, simple handling and broad applications, the digital ecosystem is appropriate for practice teams of any size, clinical interest and experience.

the non-retirement plan

Are you a forward-thinking principal planning the next phase for your career and your practice, but you’re not ready to retire?

DeNovo Dental Partners presents a solution. Offering a unique shared ownership model, DeNovo is looking for dentists that seek the benefits of being part of a group and a broader network of practices while maintaining full autonomy over clinical care and their practice management. The goal is to empower principals looking to continue growing their businesses while enjoying the financial fruits of their labours so far.

Benefits include:

• Retain practice autonomy

• Support for business growth and personal development

• Full value of practice paid upfront*

All SprintRay solutions are also maintained by extensive technical support services to help practices maximise on the advantages available.

3D printing is the future. Don’t risk getting stuck in the past – find out more today!

For more information, visit www.sprintray.com/en-uk/n

• On-going annual payments rewarding practice growth

• Dentists as significant shareholders and beneficiaries of increased value created within DeNovo group

• Scale benefits delivered as part of the group

• Be part of something bigger, with a community spirit and partnership ethos

Why not contact the DeNovo team to see if joining could be your next career move?

Find out if DeNovo is right for your practice’s future by visiting: www.denovo.partners todayn

Waste containers for every clinical need

Keeping the dental practice prepared for the clinical waste it produces is vital; Initial Medical provides a range of effective solutions, including eco-friendly clinical waste bags.

Made from 30% recycled plastic, the clinical waste bags follow the Initial Medical ethos of striving for more sustainable solutions in healthcare.

Each bag, which is colour-coded in line with Health Technical Memorandum 07-01, is also made to be tear and impact resistant. This protects clinicians and patients, as well as the waste disposal service practitioners later in the workflow.

The clinical waste bags are compliant with the Carriage of Dangerous Goods regulations, and are tested in UKAS

approved laboratories.

Learn more about the ways Initial Medical helps dental practices prepare for clinical waste creation by contacting the team today.

To find out more, get in touch at: 0808 304 7411 or visit the website today www.initial.co.uk/medicaln

Effective for a wide range of patients

There are many reasons why a patient might experience dental pain, leading to discomfort and distress. In any case, whether it’s toothache, mouth ulcers, denture pain, or sensitivity, Orajel has the ideal pain relief solution! Orajel provides results in under two minutes – for rapid relief from pain when your patients need it most. Plus, thanks to the topical local anaesthetic, benzocaine, patients can easily target the source of their pain for localised relief – with Orajel Dental Gel containing 10% benzocaine , and Orajel Extra Strength offering 20%. This enables patients to get relief from more severe pain whilst they wait for emergency treatment.

Find out more about how recommending Orajel can benefit your patients by getting in touch with the team today.

For essential information, and to see the full range of Orajel products, please visit https://www.orajelhcp.co.uk/ n

A special brush for special oral care

When patients need to achieve gentle and efficient cleaning in areas that can’t be reached with a regular toothbrush, recommend the SOLO special brush from TANDEX.

SOLO has been developed and designed in partnership with dentists to help optimise oral hygiene in posterior regions of the mouth, around fixed braces, or especially large or small interdental spaces. SOLO is also recommended to support patients in cleaning around crooked teeth and gingival pockets.

The small head-size of the SOLO toothbrush, and its handmade conical shape make it ideal for cleaning comfortably and gently but with total efficiency.

SOLO comes in Medium and Long, and there is a Soft and UltraSoft version for an extra-gentle clean when patients have painful or sensitive teeth or gingiva. Visit the website to find out more today! For more information on Tandex’s range of products, visit https://tandex.dk/ Our products are also available from DHB Oral Healthcare https://dhb.co.uk/n

tandex.dk

“do not hesitate to choose dental Elite”

Practice owner, Dr James McKenzie, was delighted with his experience with Dental Elite when selling his practice. He was particularly supported by the expert guidance and unwavering support of Phil Kolodynski, Director of Practice Sales.

He offered the following glowing testimonial:

“From the outset, Dental Elite provided thoroughly professional support. It was evident that from their rapid response times that they were invested in the process. They completely overshadowed their competitors.

“There was excellent communication at every point and we never felt ignored. We were always kept updated with viewings and buyer feedback. Their knowledge of the marketplace and also their buyers – whom they approached proactively – was second to none.”

Dr McKenzie continued:

“Dental Elite employs a down-to-earth, realistic approach. Because of this, there were no surprises and we achieved success within the agreed parameters. Open and honest conversations resulted in a ‘win-win’ for all.

“Working with the team was quite simply a joy throughout the process, right from the initial meeting to completion. Do not hesitate to choose Dental Elite.”

Visit www.dentalelite.co.uk, email info@dentalelite.co.uk or call: 01788 545 900n

What to expect when you’re expecting

simon cosgrove, Dental Regional Manager and qualified Specialist Financial Adviser at Wesleyan Financial Services, shares an overview of maternity pay for dentists residing in England

Dentistry is unique in its structure and financial planning requirements. For example, when you become a dentist, you automatically also become a business person due to the nature of the career; NHS dentists are self-employed, but they are also members of a pension scheme, with its associated benefits.

This tangled web can lead to confusion in many aspects of finances and financial planning for dentists, and one area that I have been asked about many times over the years has been maternity pay for self-employed dentists.

If you’re a self-employed dentist, you’ll probably qualify for Statutory Maternity Allowance (SMA). For the 2025/26 tax year, this is £187.18 per week for up to 39 weeks.

To be eligible, you must have:

• Been registered as self-employed with HM Revenue and Customs (HMRC) for at least 26 weeks in the 66 weeks before your baby is due

• Paid Class 2 National Insurance for at least 13 of those 66 weeks

A common issue to watch out for is that many dentists have their first application for full Statutory Maternity Allowance (SMA) rejected. This is often because Class 2 National Insurance contributions are only paid once a year in January, and they’re paid in arrears. As a result, HMRC may ask you to make an extra payment to cover any shortfall. If this happens, the extra amount will be deducted from your future National Insurance payments.

NHS dentists are also entitled to maternity pay, subject to the following criteria:

• You have been on the NHS dental list as a provider or performer for a period of at least two years (the foundation training year counts towards this figure). The last 26 weeks must have been continuous and immediately prior to the 15th week before the due date

• You have reached the 11th week before the week you are due to give birth

• You don’t carry out work during your maternity leave

• You are not registered as a limited company

Regarding the final point, there are many dentists who set up limited companies to take advantage of potential tax savings. However, it is important to note that anyone receiving NHS income into their limited company will lose not just NHS maternity pay, but also other NHS benefits, such as membership of the NHS Pension. As a side note, NHS Pension membership is not required to be eligible for maternity pay.

NHS maternity pay is payable for 26 weeks from the time that you cease work at the practice and is based

on the current year’s estimated Net Pensionable Earnings on Compass. It is important that you check this is accurate, as this is what your maternity pay is based on. It is not uncommon for dentists to find that it is not an accurate reflection, so this should be checked and amended, if necessary.

The maternity pay is paid to the practice and then passed onto the dentist. The amount will vary depending on income, but the maximum weekly payment is currently £1,660. NHS maternity pay is taxable and pensionable, so NHS Pension contributions will be deducted from it, as well as income tax. Another deduction will be the amount of Statutory Maternity Allowance.

A little more planning tends to be required for private dentists, as they are usually only eligible for Statutory Maternity Allowance.

Building up savings prior to maternity leave is essential here to help supplement income requirements during this period.

Some dentists set up a limited company for their private income. The advantage of this is that limited companies allow a dentist control over when they withdraw money (as dividends), as well as potentially paying a lower rate of income tax.

Building up funds in the limited company in the approach to maternity leave will then allow the funds to be released gradually once the leave commences. This is an area to take advice from an accountant on to ensure that it is a suitable option for your particular circumstances.

In summary, careful planning is required around maternity leave, and knowing the pay that you are eligible

for is an important part of this. And that’s before you start to think about childcare costs, clothing, after-school clubs and university!

need help planning your finances around maternity leave?

Wesleyan Financial Services provides specialist financial advice tailored to dentists. Book an initial conversation with your local dental Specialist Financial Adviser to talk through your options. Visit wesleyan.co.uk/ dental or call 0800 316 3784. Charges may apply. You will not be charged until you have agreed to the services required and the associated costs. Visit wesleyan.co.uk/charges to find out more.

Tax treatment depends on your individual circumstances and may be subject to change in the future. Article correct as of June 2025. n

about the author

Having vast experience as a dental specialist financial adviser (sfa) over the years, simon cosgrove is now a Dental Regional Manager at Wesleyan financial services, guiding a team of dental sfas to support dentists, their families, and their practices with financial planning to secure their financial future.

Everyone can get behind an opportunity for tax avoidance

In the Autumn Budget of 31st October 2024, Rachel Reeves, the Chancellor of the Exchequer for the new Labour government, announced reductions in the allowances for Business Asset Disposal Relief (formerly Entrepreneur’s Relief). Or rather, tax increases for entrepreneurs who sold their business.

Business asset disposal relief rose to 14 per cent on 6th April 2025. On 6th April 2026, it rises again to 18 per cent. Effectively business owners will pay 18 per cent on all gains on qualifying assets disposed of from that time.

Changes to BADR look generous compared to the rates of Capital Gains Tax (CGT) announced by the Chancellor in that Budget. With the higher rate of CGT increasing from 20 per cent to 24 per cent, and the relief rate of CGT jumping from 10 per cent to 18 per cent.

This, effectively, was the Chancellor firing the starting gun on entrepreneurs, or in our case dentists who were looking to sell their practice, in getting a deal completed on or prior to April 5th 2025. Here, I am going to share how the industry around dental practice M&A responded to the tax increase that took place on 6th April 2025. The lessons we learned and how we can use that playbook to help dentists who are considering selling their dental practice avoid paying the tax increases scheduled for 6th April 2026.

At Lily Head Dental Practice Sales, in the 4 weeks leading up to 5th April 2025, 29 of our clients completed on the sale of their dental practice.

That is 29 clients who paid 4% less in BADR than they would have done from 6th April 2025. That is a circa £900,000 of savings.

Twenty of these clients were in our pipeline prior to 31st October 2024, when the tax increases were announced. Nine came on board immediately after the announcement with a plan to complete on a sale prior to 6th April 2025.

This is probably a good time to acknowledge the work our team, clients, buyers, lenders and clients’ solicitors put in, too. We are part of a team. We do not work in isolation.

The key point here is that the volume of completed deals in a very narrow window was unprecedented. It was caused by the Chancellor announcing tax increases, but it has demonstrated what can be achieved when the market was disrupted.

We now know that dentists who wish to complete on the sale of their dental practice up to and including 5th April 2026 are not too late to start the process.

Let me repeat that: i f you wish to exit your business up to or on 5th a pril 2026 to mitigate the next tranche of tax increases, you still have time to act.

The main strategic takeaway is that we have learned that once a deal is agreed, it can be completed within five months, even with buyers financing through debt. Corporate buyers can achieve the same in two months in certain circumstances.

Over the last 10 years, we have seen deals go from taking six months to complete to taking almost eight months.

The key considerations to meeting these enhanced goals are that the buyer and seller must be fully committed. The hard deadline that the Chancellor gives us at the end of each financial year did enable dentists to really crystalise what they wanted to achieve and when. It helped to take away the ‘let’s consider this tomorrow’ type of approach.

We saw how sellers’ motivation was overall higher than we had experienced at any single moment previously. They tackled their due diligence with enthusiasm and energy. They provided the information and insights to support their purchasers’ funding applications. They were able to see how their own actions were getting them closer to the goal they had set themselves. I have spoken about transaction fatigue in the past. This is effectively where a oncewilling buyer becomes disillusioned and ultimately quits the purchase process because they think it is taking too long. We saw none of that because the deals had their own tempo and energy.

In some circumstances, our clients were taking time off from their clinical duties to support the process or even delaying holidays until after completion to make sure they were on hand to support the process.

The wider team shared the same focus. Solicitors were highly motivated to ensure their clients met their completion goals. Our solicitor panel knew that any delays could

cost their clients money in additional tax liabilities.

These are the personal characteristics our successful clients possessed:

• Urgency mindset: They acted like each day lost could jeopardise the deal. They did not defer tasks to another day.

• Commercial perspective: They stayed pragmatic. They evaluated how critical an issue really was.

• Loss aversion: Motivation increases when a potential loss (tax disadvantage) looms.

• Stay composed: They kept calm under pressure. It is essential. It is not possible to control every aspect of your sale, staying calm and maintaining conduct is important.

Success is guaranteed when both buyer and seller are motivated and aligned. Super willing teams create momentum that makes high volume success possible.

The best day to start the process of avoiding the extra tax that comes into play on 6th April 2026 was yesterday.

The next best day is today. n

about the author abi Greenhough,

INTRODUCING

PROFESSIONAL TEETH WHITENING

GUARANTEED 5-DAY TURNAROUND

No bulk purchases required

ULTRA-SEAL TRAYS FOR INDUSTRYLEADING EFFICACY

NO BULK PURCHASES REQUIRED

Specially formulated pH neutral Day & Night gels

PH NEUTRAL GELS FOR REDUCED SENSITIVITY

REQUEST MORE INFORMATION ABOUT VITALISSE.

How to attract the top talent to your dental practice

Having the right team in place is a vital element of reaching your full potential as a dental practice. Without competent clinicians who communicate well with patients, reaching any organisational goals will be challenging. While pay is an important element of the attraction process when recruiting and securing the best talent, there are several other important factors at play for candidates when they seek new employment.

When you are hiring, consider that in most locations in the UK there will be a wealth of options for good candidates, so there are a few things every dental practice can do to make themselves stand out as an employer.

culture

One of the most important factors in attracting great team members to your practice is fostering a positive culture. As well as attracting talented professionals, the ethos of a practice is a vital factor for promoting wellbeing, and for retaining staff. Not only do you have to work on how you communicate positive values internally and externally, but you also must make sure you convey them effectively to candidates. Your ethos should be clear when they visit, email or call. A good candidate may well ask front-line staff what the atmosphere is like at your practice, so ensuring every member of the team is treated with respect will go a long way to boost the reputation of your practice.

An authentic approach to patient care, that allows clinicians to practice according to meaningful principles will help foster a positive culture. It will also improve communications with patients, contributing to patient satisfaction. This will further attract passionate professionals, wherever your practice is located.

Opportunities for growth

Offering clear pathways for professional growth and development is a crucial factor in attracting – and retaining – top-tier dental talent. While all clinicians value opportunities to expand their skills and responsibilities, this is especially compelling for young dentists and recent graduates seeking to establish themselves in the profession. In private practice, appealing incentives might include the chance to build and grow a personal patient list. For mixed practices, having a clear strategy for converting NHS patients to private care can be a strong draw for ambitious, driven clinicians looking to grow their income and clinical autonomy.

The selection process

Before you’re even at the interview stage, the benefits of working with you should be clear through your recruitment advertising, branding, job descriptions, person specifications, and where you advertise. Are you appealing specifically to the candidates you’re after?

Ensuring you have cast the net widely through the right channels is important for ensuring you open your opportunity up to the best talent.

An interview isn’t just an opportunity to assess whether a candidate is the right fit for your practice - it’s also your chance to showcase why your practice is the right fit for them. While evaluating their clinical skills and cultural alignment is essential, don’t underestimate the importance of presenting your own strengths.

Be prepared to clearly articulate what sets your practice apart: the opportunities you offer, the values you uphold, and the positive culture you’ve cultivated – or are actively working to develop. Demonstrating your commitment to creating a supportive, progressive environment for both patients and team members can leave a lasting impression and help secure the right candidate.

Have a clear introduction to your team, and an outline of your marketing strategy, plans for growth, culture and ethos, equipment and materials, career progression as well as benefits and the pay scale.

Once you have appointed your new team member, remember to take the time to induct them into your practice. This can help them feel welcome, and sharing key information from the outset ensures they are fully equipped and ready to hit the ground running.

When a team member moves on, it is important to be mindful of reputation as you part ways. Seeking honest feedback and applying lessons learned in interactions with the team will also help to enhance your reputation.

Fight fraud and stop scams

It is unsurprising in a world of online banking, memberships, subscriptions and advanced technology that fraud is the most commonly experienced crime in the UK. Anybody with an online presence is especially vulnerable, with a vast array of scams being a frequent type of fraudulent behaviour that slip under the radar and exact money.

Fraud accounts for over 40% of crime in England and Wales, with 3.5 million incidents experienced among adults between 2022-2023. Whether losing small amounts of money or having an entire bank account emptied, the financial threat level of online scams varies but the emotional impact on the psyche can be damaging – especially in the turbulent times of the current world economy. Having an awareness of the types of online scams, and the procedures to follow in the event of one, is vital for dentists to know, allowing them to protect their finances, as well as their friends and family members, and stay focused on delivering excellent treatments without extra worries.

Ways to get you

A scam is when someone deceives you into divulging personal or financial information which is then used to steal from you. There are many variations of an online scam, including:

• Phishing, in which criminals trick individuals to reveal sensitive information

• Romance scams, in which criminals on dating apps pretend to be someone else to obtain information

• Investment scams, where money is willingly put into a scheme that doesn’t exist

• Identity theft, where criminals use your personal information and pretend to be you to commit fraud

Identifying a scam is proving increasingly difficult, with criminals constantly adopting new techniques and approaches. Previously, scams were more apparent due to elements like poor spelling and grammar, unusual email addresses or using images or websites that look unprofessional or uncanny. Advances in technology have since given way to more sophisticated scams, and knowing the common signs is essential.

Warning signs

Some recurring elements in scams include offers about one-time opportunities to make or save money, a text or call from someone you haven’t met who needs help, or a message from an unrecognised mobile number that contains numerous links, attachments or QR codes. If you receive such messages, especially those masquerading as a company like a bank, you should check with the company first, contacting them only through their website to determine if it’s a scam or not.

Preying on more fearful victims, some scams may claim to be someone official and threaten action if money is not paid quickly. This could be a criminal pretending to be HMRC and suggesting legal action will be taken against you if a payment isn’t

made right then and there. You should always remember that the government is unlikely to be calling you and asking for instant money – using the correct channels of communication on the government website is the best way to confirm the scam. Forwarding suspicious emails to the National Cyber Security Centre or suspicious texts to 7726 will report the source of the message for investigation.

A more recent phenomenon among online scams is the use of AI-generated images, videos or websites that are far more believable for the unsuspecting. From creating explicit photos to deepfake videos, or promoting fake products, services or investments, AI programmes are increasingly realistic. Receiving videos of ‘family members’ or ‘celebrities’ asking for money is common – a lady recently made headlines for paying ‘Brad Pitt’ $850,000 for a kidney treatment.

impacts beyond finance

The psychological impact of being scammed can be damaging. 69% of fraud victims experience a decline in their mental

enlisting support

As well as being well-known for offering specialist services for dental practice sales, Dental Elite is a well-established dental recruitment agency. Offering services for both permanent and locum hires, Dental Elite develops a tailored approach to suit each practice. Dedicated teams are ready to unite you with excellent candidates, covering roles for dental nurses, dental hygienists, associate dentists, locum dentists and more. In this competitive market, attracting candidates that meet the needs of your vacancies is essential to enable you to achieve your overall goals. To offer the right level of care for patients, to meet your NHS contract or to fulfil your key business performance indicators, and to build goodwill to optimise your practice’s value, having the right approach to recruitment is vital. For more information on Dental Elite visit www.dentalelite.co.uk, email info@ dentalelite.co.uk or call 01788 545 900 n

about the author adam neeves, Recruitment consultant at Dental elite.

health; anxiety, depression and low selfesteem are associated with being a victim of fraud. From the initial panic of seeing money being taken, to the worry of being able to make ends meet financially, being scammed greatly affects quality of life and increases paranoia of it happening again. Reliable insurance can cover your finances in the event of fraud. To have the best support in protecting your money, book a consultation with the expert financial advisers at money4dentists. Able to offer a wide range of services, including income protection, investments and mortgages and practice loans, money4dentists has over half a century of experience with keeping dentists in the best possible financial position. Trust is no longer an online currency, and any message you receive should be treated with caution. Having a greater awareness of online scams better protects you and your loved ones, keeping your finances safe. For more information please call 0845 345 5060 or 0754DENTIST. Email info@money4dentists.com or visit www.money4dentists.com n

authors Richard Lishman and Sarah Guilford at money4denitsts.

THE FINE ART OF MASTERING RADIANT SMILES

24 OCTOBER 25 OCTOBER

Dr Newton Fahl Jr

Dr Thomas Taha

Dr Rhodri Thomas

+ more

Host: Dr Paul Midha

Dr Newton Fahl Jr

Exclusive: Hands-on Course

Turn static files into dynamic content formats.

Create a flipbook
Issuu converts static files into: digital portfolios, online yearbooks, online catalogs, digital photo albums and more. Sign up and create your flipbook.