Smile July/August 2025

Page 1


MASTHEAD CLEAR AREA

Not all water flossers are created equal. Recommend by name.

Industry leader

Recognised as the #1 selling waterflosser brand in the UK and in the world.

The most recommended water flosser brand by dental professionals and the only one approved by the Oral Health Foundation. The stand-out performance patients need. The name professionals recommend.

Recommended by experts

Backed by science

Supported by over 80+ clinical research studies. Clinically proven to remove up to 99.9% of plaque bacteria in treated areas* and be 2X as effective as string floss for improving gum health.

Standing the test of time

With 60 years of innovation, WaterpikTM has been committed to a professional- level clean for over half a century.

*based on in vitro study

The stand-out performance patients need. The name professionals recommend.

Not all water flossers are created equal. Recommend by name.

Industry leader

Recognised as the #1 selling water flosser brand in the UK and in the world.

Recommended by experts

The most recommended water flosser brand by dental professionals and the only one approved by the Oral Health Foundation.

Backed by science

Supported by over 80+ clinical research studies. Clinically proven to remove up to 99.9% of plaque bacteria in treated areas* and be 2X as effective as string floss for improving gum health.

Standing the test of time

With 60 years of innovation, WaterpikTM has been committed to a professional- level clean for over half a century. *based on laboratory data, data on file

Removes up to 99.9% of plaque bacteria from treated areas*

*based on laboratory data, data on file

Reduces gingivitis up to 50% more than string floss†

Helps implant gum health up to 2x more than brushing and string flossing†

Cleans plaque around braces up to 5x better than brushing alone†

†Data

WJames Cooke T: 01732 371 581 E: james.cooke@purplems.com http://www.smile-ohm.co.uk/

elcome to the summer edition of Smile Oral Health Matters. As I type this, schools across the country have broken up for an extended break, parents scrambling to keep the little ones occupied as best as possible. That can, of course, often mean sweet treats – particularly on a sunny day when a cold, fizzy drink becomes all the more appealing. And that’s before you’ve opened the freezer to find the ice cream!

SUBSCRIBE TO SMILE

Rates: UK £39.95 per year; Overseas £83 - all cheques in sterling drawn on a UK bank made payable to ‘Smile’. 8 issues including 16 hrs CPD £39.95

Published by Purple Media Solutions The Old School House, St Stephen’s Street Tonbridge, Kent TN9 2AD Tel: 01732 371 570

Managing Editor James Cooke james cooke @purplems.com Tel: 01732 371 581

Commercial Director Gary Henson gary.henson@purplems.com Tel: 07803 505208

Production and Designer 1 Lorna Reekie lorna reekie @purplems.com Tel: 01732 371 584

Production and Designer 2 Rob Tremain rob.tremain@purplems.com

While there has been plenty of education around the sugary pitfalls of soft drinks and confectionary, the public at large is still falling foul of what the Oral Health Foundation’s Dr Nigel Carter describes as ‘The Sugar Trap’. In his excellent article on page 6, Dr Carter highlights how sugar is no longer a treat but, unfortunately, a staple of many foods – including many that most people wouldn’t reasonably expect sugar to be a part of. Children are still consuming more than twice the recommended amount of sugar, but I’ll stop here and allow Dr Carter to continue on the next page.

in this magazine. The views expressed in Smile OHM Magazine are not necessarily the views of the magazine, nor of Purple Media Solutions Editorial Advisory Board: Dr Barry Oulton, B.Ch.D. DPDS MNLP; Dr Graham Barnby, BDS, DGDP RCS; Dr Ewa Rozwadowska, BDS; Dr Yogi Savania BChD, MFGDP; Dr Ashok Sethi, BDS, DGDP (UK), MGDS RCS; Dr Paroo Mistry BDS MFDS MSc MOrth FDS (orth); Dr Tim Sunnucks, BDS DRDP; Dr Jason Burns, BDS, LDS, DGDP (UK), DFO, MSc; Prof Phillip Dowell, BDS, MScD, DGDP RCS, FICD; Dr Nigel Taylor MDSc, BDS, FDS RCS(Eng), M’Orth RCS(Eng), D’Orth RCS(Eng); Mark Wright BDS(Lon), DGDP RCS(UK), Dip Imp Dent.RCS (Eng) Adv. Cert, FICD; Dr Yasminder Virdee, BDS.

ORAL HEALTH

in association with:

Other titles include:

Divisional Administrator Francesca Smith francesca.smith@purplems.com Tel: 01732 371 570

Circulation Manager Andy Kirk

Managing Director Ed Hunt ed.hunt@purplems.com Tel: 01732 371 577

Dental hygienists and dental therapists feel they have no choice but to work when their mental health is suffering

Over eight in ten dental therapists (82%) in the UK who took part in a survey said they have gone to work or continued to work despite their mental health suffering, and 50% said they feel guilty if they take time off due to mental wellbeing issues.

The Dental Protection survey of more than 1,600 dental professionals in the UK, including almost 330 hygienists and therapists, showed similar results for dental hygienists, with 74% working or continuing to work and 59% feeling guilty about taking time off.

Half of the dental hygienists (50%) and dental therapists (49%) who responded said they feel they should keep working even when their mental health is suffering, with a similar number – 48% hygienists and 51% therapists –saying there was nobody else to cover for them if they did not attend.

Two thirds (66%) of dental therapists and three in five dental hygienists (60%) cited financial reasons for continuing to work.

Almost half of dental hygienists (49%) and dental therapists (46%) who took part said working while their mental health is suffering had led to a loss of concentration, and over a third of hygienists (36%) and therapists (38%) said it had led to a lack of empathy with patients.

Two in five dental hygienists (41%) and a quarter (25%) of therapists also suspected that working while their mental health is suffering may have contributed to a lower standard of care.

Yvonne Shaw, Deputy Dental Director at Dental Protection said: “It does not surprise me that dental professionals put their patients’ interests above their own.

“It is however distressing that such a large proportion of colleagues say they are continuing to work despite not feeling mentally well enough to do so. The reasons cited highlight the pressures of delivering NHS care and unrelenting demands of managing patient backlogs and meeting targets, alongside financial pressures and lack of cover.

Dr

A“The current pressures are unsustainable and dental professionals must feel able to take time off to recuperate or seek support. We see the impact of burn-out and the sad reality of colleagues having to take extended time off work, or even leaving dentistry altogether. Alongside this, working when our mental health is suffering can adversely impact the delivery of patient care which those taking part in our survey have shared.

“At Dental Protection, we continue to campaign for the delivery of key reforms that we know could benefit dental professionals’ wellbeing. These include expansion and better use of the dental workforce, NHS contract reform and addressing access to care, alongside the introduction of measures that support

dental teams to deliver optimised patient care and ensure appropriate remuneration.

“The Government is expected to set out a 10-year NHS strategy soon and a key plank must be providing a clear timetable for NHS contract reform. A realistic new model for the provision of NHS dental care is urgently required to improve the working conditions for dental professionals, thereby protecting patients and safeguarding the future of NHS dentistry.

“I would also like to remind Dental Protection members, that we offer a 24/7 counselling service as a benefit of membership, for colleagues experiencing stress that they feel could impact their practice. The service is entirely confidential and independent of Dental Protection.” n

Fiona Sandom awarded MBE in King’s Birthday Honours

mongst those who were bestowed honours for His Majesty’s birthday (a CBE for former Chief Dental Officer Sara Hurley, OBEs for Peter Brennan and Roslyn McMullan, and MBEs for Linda Greenwall and Peter Cranfield) was renowned dental therapist Dr Fiona Sandom.

Dr Fiona Sandom has been appointed a Member of the Most Excellent Order of the British Empire (MBE) in the King’s Birthday Honours List 2025. The prestigious award recognises her exceptional contributions to dental therapy and the National Health Service (NHS) in Wales.

Dr Sandom’s distinguished career includes significant roles within the British Association of Dental Therapists (BADT), where she served as both President and Chair. Her leadership was pivotal in advancing the role and recognition of dental therapists throughout the United Kingdom. Her dedication to education, policy development, and clinical excellence has left a profound mark on the profession.

Currently, Dr Sandom holds positions as the Dental Professional Support Unit (DPSU) Lead and North Wales Regional Lead for Health

Education and Improvement Wales (HEIW). She completed her PhD at Bangor University in 2023, where she was also instrumental in establishing the dental hygiene programme.

A testament to her unwavering commitment, Dr Sandom dedicated over 11 years, much of it in her own time, to the prescription-only medicine exemptions project. Her tireless efforts culminated in a crucial legislative change that granted dental therapists and hygienists full clinical autonomy, significantly expanding their scope of practice.

Kirstie Moons, Postgraduate Dental Dean at HEIW, expressed her delight, stating, “We are delighted that Fiona has been given this welldeserved award; her work has and will continue to impact the dental profession in Wales positively for many years to come.”

Dr Sandom’s academic and clinical achievements continue to inspire dental professionals across the nation, solidifying her legacy as a transformative figure in the field of dental therapy.

Congratulations from all at Smile Oral Health Matters ! n

TOTAL CONFIDENCE

We invited 43,000 UK dental professionals to try the New Colgate Total ® Active Prevention Toothpaste . After 8 weeks, we gathered their professional feedback.1 The results speak for themselves, giving you and your patients

TOTAL CONFIDENCE .

82% 91% 98%

Likely to recommend Colgate® after using Colgate Total® Active Prevention1

Felt a fresh, clean mouth after using Colgate Total® Active Prevention1

Want to keep using Colgate Total® Active Prevention1 99% 99%

‘Nice to try the new formulationit is the number one toothpaste I recommend’1

‘Fantastic toothpaste, makes your mouth feel fresh every time’1

‘Love the new toothpaste – excellent protection, reduces plaque/calculus build up’1

Giving you TOTAL CONFIDENCE to recommend

NEW Colgate Total®

A seat at the table, a voice in the future

BSDHT President Rhiannon Jones shares how formal representation in national policy is enabling the Society to help shape the future of oral care

As NHS dentistry enters a period of major reform, driven by the Government’s 10-Year Health Plan and ongoing contract changes, the British Society of Dental Hygiene and Therapy (BSDHT) has taken a significant step forward by securing formal representation in national policy discussions.

This involvement reflects a genuine commitment to ensuring that dental hygienists and dental therapists are recognised, supported and empowered to provide the care they are trained to deliver. It also signals a shift towards a more preventive model of dentistry, where the full dental team helps meet the needs of the population.

Part of the conversation

The BSDHT’s involvement in national policy discussions gives it a meaningful role in shaping the future systems and structures of oral healthcare. After many years of championing the skills and contribution of dental hygienists and dental therapists, the Society is now well placed to influence reform from within. This growing influence is complemented by a strong and consistent relationship with the General Dental Council (GDC), which has been maintained over recent years.

These, and wider discussions, are not theoretical. They involve active working groups focused on designing neighbourhood health teams, developing community delivery models, and determining how NHS resources can be used most effectively. Central to this is recognising the skills of every team member and enabling them to work to the top of their scope.

Within this context, the formal recognition of dental therapists as part of neighbourhood health teams is a clear and welcome step forward. Equally important is the recognition of dental hygienists. Both professions have the potential to improve access to care, strengthen prevention, and reduce pressure across the wider system.

Driving reform through prevention Prevention has already emerged as a key theme within current reform, and it continues to be a central focus of the BSDHT’s work. Although many oral conditions seen in dental practice are preventable, prevention has not always been sufficiently prioritised or supported.

That is beginning to change. The move towards community-based care is a welcome shift, particularly when combined with the idea that effective prevention at community level can reduce hospital admissions and improve outcomes.

A clear, practical framework is now needed to put prevention into action. Dental hygienists and dental therapists already prioritise this, but they need the pathways, support and funding to make it a reality.

The BSDHT is preparing members through education, upskilling and practical training. For instance, for dental therapists who have not used their full scope recently, or for dental hygienists returning to clinical care, there will be opportunities to rebuild confidence and competence. This includes hands-on courses, regional support, updated guidance, and access to mentoring and coaching, to help members step into new roles with clarity and confidence.

Addressing barriers to care

At the same time, it is essential that barriers to care are addressed. That includes access to medicines, supported by the exemptions mechanism, as well as broader issues such as remuneration, pensions and employment conditions.

For the profession to move forward, these must be considered seriously by policymakers and employers. It is not enough to ask people to step up without also offering fair and sustainable working conditions.

Support must also include communication, leadership and resilience. The BSDHT recognises that reform brings uncertainty as well as opportunity, and remains committed to both technical and emotional support. Through peer engagement, active listening and practical advice, the Society ensures members feel supported, whether they are returning to practice, exploring a new role or seeking clarity on contracts.

The priorities for the year ahead are clear.

The BSDHT will continue to keep members informed and represent their interests in policy discussions. It will provide the support they need to succeed in evolving roles and advocate for fair treatment across all settings. Perhaps most importantly, the Society will also work to ensure that decisions made now reflect the needs of both professionals and the patients they care for and support, not only today but for the future of oral care.

Change is under way, and the BSDHT is ensuring that dental hygienists and dental therapists are not only part of the future but also helping to define it. n

ABOUT THE AUTHOR

RHIANNON JONES

Rhiannon is the President of the British Society of Dental Hygiene & Therapy.

4+1 FREE

4+1 FREE

4+1

USE CODE: PDT4 (OFFER ENDS 31/08/25)

USE CODE: PDT4 (OFFER ENDS 31/08/25)

USE CODE: PDT4 (OFFER ENDS 31/08/25)

200-300% More Contact than Leading Competitors

200-300% More Contact than Leading Competitors

200-300% More Contact than Leading Competitors

Greater adaptation means less scaling strokes. Better for you, better for your patients.

Greater adaptation means less scaling strokes. Better for you, better for your patients.

Greater adaptation means less scaling strokes. Better for you, better for your patients.

Less Sharpening PDT blades are thinner, sharper, and heat-treated for durability, lasting up to seven times longer.

PDT blades are thinner, sharper, and heat-treated for durability, lasting up to seven times longer.

Less Sharpening PDT blades are thinner, sharper, and heat-treated for durability, lasting up to seven times longer.

Ultra-lightweight Design

Solid resin handle reduces fatigue and muscle strain during prolonged use.

Ultra-lightweight Design

Ultra-lightweight Design

Solid resin handle reduces fatigue and muscle strain during prolonged use.

Solid resin handle reduces fatigue and muscle strain during prolonged use.

Superior Tactile Sensitivity

Superior Tactile Sensitivity

Superior Tactile Sensitivity

Knurled grip provides superior tactile sensitivity for precise control during procedures.

Knurled grip provides superior tactile sensitivity for precise control during procedures.

Knurled grip provides superior tactile sensitivity for precise control during procedures.

The sugar trap

Why we’re still failing the public on diet and decay

We are in the middle of a preventable health crisis – one that is being fuelled not by ignorance, but by environment. Walk into any supermarket, school canteen, or petrol station and you’ll see what I mean: sugar is no longer a treat, it’s a staple. Despite everything we know about its dangers, particularly to teeth, sugar remains cheap, available, aggressively marketed and alarmingly normalised.

Despite all our efforts in public health, tooth decay remains the most common NCD (noncommunicable disease) in the UK. A staggering one-in-four five-year-olds in England have visible signs of decay. Among children from the most deprived communities, this rises to nearly one-intwo.1 These children are not just being let down by health services – they are victims of a broader system that makes poor choices the easy ones.

As a charity that has been campaigning on these issues for more than 50 years, the Oral Health Foundation has consistently raised the alarm on sugar. However, today the challenge is not simply one of awareness. The British public knows sugar is bad for teeth. The real problem is that everything around them pushes in the opposite direction –behaviour change isn’t happening because the odds are stacked against it.

We must talk honestly about what’s going wrong.

A health crisis born in the supermarket aisle

The government’s data shows that children are still consuming more than twice the recommended amount of free sugars.2 Much of this comes from drinks, snacks and convenience foods that are cheap, heavily marketed and readily available –especially in lower-income households. The so-called ‘sugar tax’ on soft drinks has been a step in the right direction, but progress beyond that has stalled. Plans to restrict multi-buy offers and ban junk food advertising before the watershed have either been watered down or shelved entirely. Meanwhile, food labelling remains a minefield. A product marketed as ‘low fat’ can still be loaded with sugar. Packaging aimed at children often features cartoon characters, misleading health claims or deliberately vague ingredients. Although oral health is mentioned in nutritional guidelines, it is not a prominent focus.

Many of these products also contain ‘hidden sugars’ – ingredients like maltose, dextrose,

fruit juice concentrate and syrup solids that most people wouldn’t recognise as sugar. This makes it difficult for families to make informed choices. Sugar should be clearly labelled and easy to understand. At present, this is a serious failure of regulation – one that continues to put children’s health at risk.

The result is clear: the nation’s diet is being shaped not by informed choice, but by an obesogenic and cariogenic environment. For oral health, the consequences are brutal.

Oral health voices must be louder

As dental professionals and advocates, we see the impact of poor diet every day – yet our voices are often absent from the broader conversation about food policy. While obesity dominates the headlines, tooth decay quietly devastates lives. It causes pain, sleepless nights, missed school and work days, poor self-esteem and, in the worst cases, emergency hospital visits for extractions under general anaesthetic.

In England alone, more than 40,000 children are admitted to hospital each year for tooth extraction. 3 That’s the equivalent of 160 classrooms of children. And yet, oral health still receives a fraction of the public health funding that goes to obesity or mental health. It’s simply not good enough.

We must ensure that diet and nutrition strategies put oral health on an equal footing with other health priorities. This means challenging policymakers, as well as working more creatively with those who shape our food culture, including retailers, manufacturers, and advertisers.

Changing the narrative, rebalancing the system

The Oral Health Foundation is calling for a fresh approach to sugar and diet – one that reflects both the scale and complexity of the challenge. We believe that solutions must include:

• Stronger regulation of sugar marketing, especially towards children, including a ban on cartoon mascots and high-sugar foods being positioned as healthy.

• Reform of the Soft Drinks Industry Levy to include milk-based drinks high in added sugars, closing a loophole that currently excludes many sugarladen beverages from financial disincentives.

• Front-of-pack labelling reform to make sugar content clear, consistent and mandatory.

• National oral health campaigns that place diet at the centre – not as a footnote, but as a headline message.

• Support for industry partnerships that promote lower-sugar alternatives and healthy behaviours, such as the responsible promotion of sugar-free gum.

• Greater investment in school-based oral health education, particularly in deprived areas where dietary risk is highest.

Ultimately, we must shift responsibility away from individual willpower and toward systemic change. Telling people to “eat less sugar” is not enough when every message, every price point, and every product shelf tells them the opposite.

A shared responsibility

Behaviour change is hard, and it won’t happen without the right environment. As dental professionals, educators, policymakers and advocates, we must work together to reshape that environment. We have a duty to protect the next generation from a lifetime of avoidable oral disease.

To do that, we need courage. We need clarity. And most of all, we need to put teeth at the heart of our national conversation on sugar.

References

1. Public Health England. Oral health survey of five-year-old children 2022.

2. NHS Digital. National Diet and Nutrition Survey, 2020.

3. Hospital Episode Statistics, NHS England, 2023. n

ABOUT THE AUTHOR

Nigel

But your recommendation can make a big difference.

Turning off and simple is as instant sensitivity pain as a flick of a switch

*Colgate® Brand, UK Dentist Survey, 2023. To verify, contact: ukverification@colpal.com.

References: 1. PRO-ARGIN® technology vs stannous fluoride/sodium fluoride technology, in vitro study, confocal images after 5 treatments. Liu Y, et al. J Dent Res. 2022;101(Spec Iss B):80. 2. For instant relief, apply directly to the sensitive tooth with fingertip and gently massage for 1 minute. Supported by a subanalysis of Nathoo S, et al 2009. Data show that 42 subjects out of 42 (100% or 10 out of 10) experienced immediate sensitivity relief on both tactile and air blast measures after a single direct topical self-application using the fingertip and massaging. Subanalysis of Nathoo S, et al 2009 (CRO-2009-01-SEN-IARG2ED; Nathoo S, et al. J Clin Dent. 2009;20(4):123-30). 3. With 4 weeks of continued use. Supported by a subanalysis of Docimo R, et al 2009. At 4 weeks, 40 out of 40 subjects (100%, 10 out of 10) achieved lasting sensitivity relief on both tactile and air blast measures. Subanalysis of Docimo R, et al. J Clin Dent. 2009;20(1): 17-22.

more in vitro tubule occlusion vs competitive technology 1 1.5X

100%

of patients experienced instant 2 and long-lasting pain relief 3

Amazing MINST in managing a significant public health problem

In yet another study extolling the value of excellent oral hygiene, good protocols as part of minimally invasive non-surgical therapy (MINST) are highly effective in preserving teeth that might once have been considered a lost cause. Moreover, there is emerging evidence that bone infill can take place after extended periods of enhanced hygiene both in the surgery and at home. However, for MINST to be effective, patient education is key. ii

The principle of the MINST approach to periodontal treatment hinges on effective decontamination of root surfaces, and infection control within periodontal pockets. Studies have demonstrated the effectiveness of this approach in reducing the clinical and radiographic depth of intra-bony defects. ii

A shift in prevalence, and a shift in treatment protocols

Between 2011 and 2020, periodontitis in dentate adults was estimated to be around 62% and severe periodontitis 23.6%. iii This represents a significant increase from figures compiled in the previous decade, which show a 50% and 11% prevalence respectively. iv Effective treatment for periodontal disease is essential to prevent periodontitis and the ensuing complications that result in tooth loss as well as damaging effects to patients’ systemic health and oral health related quality of life.v

Periodontitis, being a microbial infection affecting gingival tissue, is generally treated with a focus on root surface decontamination and infection control. Up until recently, scaling and root planing combined with gingival curettage was common practice. Root planing involved the removal of contaminated cementum and dentine to restore the biocompatibility of diseased root surfaces. This approach was based on the concept that endotoxins and lipopolysaccharides from gram-negative bacteria penetrate the cementum.vi However, aggressive and repeated root planing is now generally considered to be an over-treatment. Endotoxins only loosely adhere to the root surface and don’t penetrate the cementum. vii In addition, there is generally evidence of subgingival recolonisation within 4-8 weeks of planing or scaling.viii

Traditionally provided alongside scaling and root planing, gingival curettage is a surgical procedure designed to remove the soft tissue lining of the periodontal pocket with a curette, leaving only a gingival connective tissue lining. Short and long-term clinical trials have confirmed that gingival curettage provides no additional benefit in achieving probing depth reduction, attachment gain, or inflammation reduction. ix

New protocols

Supragingival and subgingival debridement, disrupting plaque and biofilm build-up is an

essential treatment, and is considered the gold standard in periodontal treatment after a baseline examination to gauge patient motivation, and instruct them on proper oral hygiene. i

Pocket and root instrumentation should be staged according to the severity of the condition, and ultrasonic devices with delicate tips, small curettes with longer terminal shanks and thinner blades used with magnification are recommended to carry out treatment according to MINST protocols. Healing should be monitored and clinically assessed before proceeding to a more invasive form of treatment.

Using these protocols, studies have shown a significant reduction in mobility and bleeding on probing (BOP), that is greater than reductions recorded using more invasive methods. In addition to this, randomised, controlled trials have shown that patients treated according to MINST protocols demonstrated slightly lower pocket depths than control groups, and significantly less gingival recession in deep molar pockets. i

Prevention and management of periodontal disease using MINST protocols

As well as an emphasis on oral hygiene and minimally invasive debridement and curettage methods over more invasive cementum removal procedures, MINST prioritises preventative treatment and advice. ii Optimal plaque control is essential for the success of non-surgical as well as surgical periodontal therapy. Toothbrushing alone is not sufficient for managing oral hygiene to effectively manage subgingival plaque. Interdental cleaning with interdental brushes has been shown in numerous studies to be the most effective way of managing enhanced oral hygiene.viii

FLEXI Interdental brushes from TANDEX are a great solution to recommend to patients at risk of developing or experiencing periodontal disease to help them implement enhanced oral hygiene at home. Adding a small amount of PREVENT Gel from TANDEX adds the healing effect of 900 ppm fluoride and the antibacterial power of 0.12% chlorhexidine.

In the person-focused, prevention-based dental practice model, approaches that prioritise evidence-based, healthy outcomes are to be embraced. In addition to the right approach to professional cleaning, with the correct advice on maintaining excellent oral hygiene, patients can gain control of their oral health.

For more information on Tandex’s range of products, visit https://tandex.dk/

Our products are also available from DHB Oral Healthcare https://dhb.co.uk/ n

References available upon request

ABOUT THE AUTHOR

The personalisation of periodontal treatment

Dr Paul Renton-Harper discusses the provision of personalised periodontal treatment, and the importance of staging and grading disease according to measurable risk factors. Paul presented this topic in a session supported by Curaden at the Oral Health Conference in November 2024

Periodontal disease is often thought of as an infection caused by the introduction of bacteria. However, it is in fact an inflammatory disease where the majority of the destruction is inflicted by the genetically-determined immune response to bacteria. The initiation, presentation, progression, and response to treatment are also influenced by a number of risk factors. These risk factors can be assessed using up-to-date methods in order to enable clinicians to provide the best possible treatment to patients.

Personalised periodontal medicine

The current European Federation of Periodontology (EFP) Classification places importance on providing patients with personalised treatment, and is designed to enable the provision of an individualised treatment approach. As such, periodontal treatment should take into account the severity, extent, progression rates, and systemic complicating factors in each case.ii

Personalised treatment identifies the unique risk factors and hyperinflammatory responses of each patient and adapts treatment to their needs. In order to provide personalised care, it is important to assess the severity of disease and complexity of treatment when the patient first presents to the practice (staging), and measure the rate of progression and factors affecting response to treatment over time (grading). This measured approach will provide initial parameters against which to accurately plan any future care.

Identifying and measuring risk factors

There are a number of key measurable factors that should be taken into account to inform the best course of treatment for each individual. Firstly, active matrix metalloproteinase-8 (aMMP8) is an enzyme that can be used as part of point of care tests to identify periodontal disease.iii By measuring the level of this enzyme, clinicians are able, with other factors, to establish an initial grade and use it throughout treatment and maintenance to measure the rate of progression and changes in grading.

Diabetes is a huge risk factor, presenting a wellestablished bi-directional link with periodontal disease. There are relatively inexpensive kits available to measure a patient’s HbA1c, and this can contribute to the grading in the

Jacob Watwood on behalf of Tandex.

full classification. Many patients now wear a continuous blood glucose monitor which can produce a calculated HbA1c level. If the patient’s diabetes is poorly controlled, the periodontal disease will be more difficult to treat, however if treatment is successful their control can improve. iv

Whilst systemic conditions, such as diabetes, impact a patient’s risk of developing periodontal disease, behavioural factors can also play a role. Smoking, for example, is widely accepted to increase a patient’s risk of periodontal disease. As such, cessation advice should be given to patients who smoke, and equipment is widely accessible to clinicians which assesses CO levels and monitors their attempt to cease. However, it should be noted that this equipment is not suitable for assessing patients who vape.

Vision for the future of periodontal care

The treatment and monitoring of periodontitis patients will be hugely impacted by our growing ability to measure data points and base our decision making on these results. Prior to now, we relied far more on clinical experience to make judgements. However, whilst this is still important, we must support our clinical judgement with measurable factors. Further to this, once treatment has been provided and the patient is stabilised, modern assessment techniques enable us to more accurately understand their response to treatment and measure how stable they are in the maintenance phase.

As microbiology continues to evolve in the future, we can also expect to more effectively identify, measure and control the bacterial species that cause the disease. One would hope that, in the future genetic testing may become available that allow us to more accurately risk-assess patients in terms of their inflammatory response. The steps we continue to take now in terms of personalised treatment and clinical testing will help to inform the direction of periodontal care for the future.

To arrange a Practice Educational Meeting with your Curaden Development Manager please email us on sales@curaden.co.uk For more information, please visit: www.curaprox.co.uk and www.curaden.co.uk n

References available upon request

DR PAUL RENTON-HARPER

Dr Paul Renton-Harper undertook his specialist training at the University of Bristol and won the FDI Prize for his work on the use of lasers in Periodontal Treatment. Holding the Braun research lectureship at Bristol, he contributed extensively to research and publications on mechanical aids to patient home care. He has taught periodontics to both undergraduates and postgraduates and been an examiner at the University of Bristol. He lectures to both national and international audiences on periodontal care and treatment and runs a specialist referral practice in Bristol seeing patients from across the South of England and further afield.

Managing, discussing and treating gingival pain

Gingival pain is an indication of many different oral health problems. Clinicians must be able to recognise how they can provide short- and long-term support and relief, as well as recognise the impact that discomfort may have on oral hygiene routines. Uniquely tailored advice can ensure that patients maintain a high level of oral hygiene without causing unnecessary irritation.

A common problem

There are many reasons a patient may experience gingival pain. Gingivitis is a plaqueinduced problem that can lead to periodontitis if left untreated; therefore they share clinical indications. Patients may have inflamed gingivae, manifesting as discomfort on gentle probing. Often, however, gingivitis does not cause any pain; instead, patients may report a dull soreness in the gingival tissue only when the disease has progressed to periodontitis, which may coincide with the identification of bleeding during oral hygiene routines or visible gingival recession.ii By this point, patients risk bone loss and tooth loss without appropriate action.

Desquamative gingivitis is a term describing the presence of erythema, ulceration, erosion, blistering or desquamatation of the attached and marginal gingivae. iii It may precede more extensive gingival lesions, and can be linked with a wide spectrum of diseases – including most predominantely mucous membrane pemphigoid, lichen planus, and pemphigus vulgaris. Much like typically understood gingivitis and periodontitis, delay in diagnosis leads to worse treatment outcomes. Implementing patient education in regular appointments allows them to come to clinicans with concerns early, who can use their up-to-date clinical training to formulate a treatment plan.

Some causes of pain may, however, begin with the oral hygiene routine itself. Toothbrushing can cause gingival abrasions which increase in prevalence and severity dependent on bristle stiffness, the force applied to brushing, and the type of toothpaste used.iv Some patients should be recommended to try using a softer toothbrush for improved outcomes.

Communication and clinical identification

Other aspects of gingival discomfort may prompt more widespread orofacial pain. Patients will typically experience two types of soreness. A deep somatic pain can indicate the problem has a periapical origin, whereas a superficial somatic pain may signal pain in the gingival tissue itself.v Though oral pain is entirely subjective, it’s helpful to encourage patients to describe the painful sensation, when it occurs, and when it is at its worst – though the layman will lack the clinical language for a textbook description, the semantics between a sharp, shooting pain and a dull, constant ache may begin to point in the direction of a clinical diagnosis and treatment plan.

One example of this being effective is with abscesses in the periodontium. They are a collection of pus, typically classed wider into gingival, pericoronal and periodontal abscesses depending on their location.vi

Patients with an abscess can experience different types of pain in the gingival tissue. An acute periodontal abscess will typically last a few days or a week, presenting as a sudden onset of pain when biting and a deep, throbbing pain in a tooth – the gingiva becomes swollen and tender, which may be easier to identify in a check-up.vi A chronic periodontal abscess, on the other hand, will develop slowly. As well as discomfort, which is usually of a low intensity, patients may experience spontaneous bleeding and an unfavourable taste in the mouth.vi

Whilst each problem is from an issue of a similar general aetiology, the ways that patients convey their experience of general soreness or sharp, throbbing pains may help with effective identification. Treatment plans can then be better informed for optimal patient outcomes.

Management

Treatment for these sources of pain – and more – in the gingival tissue will vary. Whether the patient needs professional calculus debridement or surgical intervention, or a less invasive route altogether, will depend on the individual. Patients could use over-the counter pain medication, or specially tailored mouthwashes to manage issues at home between appointments.

Good oral hygiene is key to reducing any catalyst for pain and preventing future issues. Twice daily brushing and interdental cleaning is paramount to remove plaque and debris that can cause irritation and infection.

When the periodontium is tender and painful, it may feel difficult for patients to carry out effective routines. Gentle brushing may be recommended, but interdental solutions like the Cordless Advanced water flosser from Waterpik™ may also be incredibly effective. The 3 advanced pressure settings allow patients to access interdental and subgingival spaces with comfort, tailoring their approach when they are experiencing pain. The Cordless Advanced is clinically proven to remove up to 99.9% of plaque from treated areas in as little as 3 seconds,vii for an effective clean to minimise irritation and infection.

Gingival pain can be linked to many oral health conditions for patients. Pairing clinical knowledge with a patient’s description of their experience can help deliver successful outcomes.

For more information on WaterpikTM water flosser products visit www.waterpik.co.uk. WaterpikTM products are available from Amazon, Costco UK, Argos, Boots and Tesco online and in stores across the UK and Ireland. n

References available upon request

ABOUT THE AUTHOR

Anne Symons is a Dental Hygienist currently working in a Specialist Periodontal/Implant practice as well as a busy NHS surgery. She has previously worked in a Max Fax unit, and also taught oral health care to staff in nursing and residential homes.

How an oral health foundation builds towards cosmetic goals

In 2023, the UK cosmetic dentistry market was valued at USD 283.19 million and is expected to grow at 4.75% annually through 2029.1 This is driven by social media, which showcases smile transformations and advances in cosmetic technologies. Cosmetic dentistry is more accessible than ever.

Still, the aesthetic focus can overshadow essential oral health needs. Dental professionals must help patients understand what defines a truly healthy smile.

Chloe Sharpe, a dental therapist at Eilertsen Dental Care in Plymouth, emphasises substance over surface. She prioritises long-term wellbeing over quick cosmetic fixes, combining clinical excellence with strong ethics.

An award-winnning Dental Therapist, Chloe is committed to restoring health and confidence through evidence-based care, including the BSP periodontal pathway and adjunctive therapies.

She believes dental therapists can greatly improve access to quality care. However, their role remains under-recognised, limiting both patient outcomes and professional growth. At her practice, Chloe is supported to work to her full scope, enjoying restorative and aesthetic dentistry while continuing her professional development.

What drives her is restoring patient confidence. She finds it deeply rewarding to help them regain their smiles. While she values aesthetic procedures, she warns against over-prioritising them. Many patients seek whitening or bonding, but some first need to address underlying health issues. Chloe ensures they understand the importance of treating conditions like periodontal disease or caries before any cosmetic work.

She stresses that cosmetic treatments can fail without stabilising oral health, wasting patient time and money, and increasing risk of dissatisfaction and complaints. She also highlights the link between oral and systemic health, which often resonates with patients.

Chloe works with patients to create personalised treatment plans and home care routines. Only after health is stabilised do they proceed with aesthetic treatments. This approach is appreciated and, she believes, defines a good clinician.

Performing cosmetic work on unhealthy mouths can lead to ethical and clinical problems. Conditions like active periodontal disease or poor hygiene can lead to bone loss and unsatisfactory outcomes, compromising both results and patient investment.

Chloe begins periodontal treatment with a full assessment (Step 1), including medical history, lifestyle factors, radiographs, and hygiene instruction. If patients are engaged, they move to Step 2 (subgingival PMPR). If not ready, she revisits Step 1, focusing on motivation and behavioural change. Showing radiographs to highlight bone loss is a strong motivator.

She recently began incorporating Gengigel into patient treatment protocols. In addition to in-clinic application, she provides them with samples for home use and recommends they consider investing in the product for ongoing care.

She explains: “The hyaluronic acid in Gengigel effectively reduces inflammation and supports soft tissue healing, making it particularly beneficial following PMPR procedures. I have observed excellent clinical outcomes and received positive patient feedback regarding comfort and healing. As a result, Gengigel will remain a key component of my periodontal treatment approach. I have provided patients with product samples, particularly the mouthwash and oral gel. It is an excellent adjunct to care when used alongside an appropriate oral hygiene routine and periodontal treatment. As with any product, correct usage is essential, and we ensure that patients are thoroughly educated on its proper application during their visits to maximise its benefits.”

Chloe believes dental therapists are key to broadening access and ensuring sustainable outcomes. Long-term success depends on prioritising health and equipping patients with tools and knowledge. Aesthetic goals provide motivation, but the foundation must be health.

Chloe says: “It’s deeply problematic if patients invest in cosmetic procedures only to face complications that require further treatment. If

a patient with active periodontal disease, poor oral hygiene, or habits such as smoking, fails to take steps to stabilise these conditions, they will likely experience ongoing bone resorption and eventual tooth loss. This will impact the longevity and appearance of any aesthetic work, as shifting dental structures can result in unsatisfactory outcomes. And if the underlying causes are not addressed, these interventions are unlikely to succeed in the long term, often leaving patients dissatisfied and increasing the risk of complaints against the clinician.

“Having a clear end goal, such as future aesthetic treatment, can provide patients with a tangible objective to work towards. By prioritising health fundamentals, we secure compliance and help establish long-term oral hygiene habits that support lifelong periodontal health.”

Reference

1. https://www.globenewswire.com/newsrelease/2024/09/17/2947610/0/en/UnitedKingdom-375-Mn-Cosmetic-Dentistry-MarketTrends-Competition-Forecasts-Opportunities2029F.html?utm_source=chatgpt.com n

ABOUT THE AUTHOR

CHLOE SHARPE

Chloe works at Eilertsen Dental Care in Plymouth, prioritising patient-centred care. She graduated from the University of Plymouth with a BSc (Hons) in Dental Therapy and Hygiene.

Hyaluronic Acid

CLINICALLY PROVEN TO SPEED UP THE HEALING PROCESS

Gengigel is a patented range of oral health products containing high molecular weight hyaluronic acid, similar to the composition found naturally in our bodies. Consequently, there are no known side effects or drug interactions.

Hyaluronic acid is a key component in activating tissue regeneration, clinically proven to speed up the healing process.

• Inflamed gums

• Burning mouth syndrome

• Lichen planus

• Dry Mouth

• Periodontitis

• Ulcers

JULIETTE REEVES DENTAL HYGIENIST (TRAINED NUTRITIONIST)

• Abrasions caused by braces and dentures

• Receding gums

• Localised inflammation

Gengigel is my go-to treatment for soft tissue injury, inflammation or trauma. It is an easy to apply simple solution for both patients at home or professional use in the clinical setting.

• Post-surgical wounds

• Extractions

• Food burns

• Stomatitis

• Candida

SOOTHES

HEALS

• Chronic ulcerations

• Lesions

• Dry sockets

• Peri-implantitis

• Periodontal pockets

Reduces inflammation & soothes pain.

Speeds up tissue repair & wound healing.

PROTECTS

Offers a protective barrier to help prevent infection.

Visit www.gengigel.co.uk for clinical studies, case studies and fact files (Brace Abrasions, COVID, Diabetes, Gingivitis, Hormonal Diseases, Mouth Ulcers, Periodontitis, Post Surgery, Pregnancy, Smoking) or for more information call 0208 459 7550

Toothache and its impact on quality of life Taking charge with self-care

Generally speaking, pain is a universally negative experience causing differing levels of discomfort depending on its severity. However, its impact doesn’t end there, having the potential to affect many other aspects of life including a person’s mood and their ability to function in their day-to-day tasks. A study by the World Health Organization found that those living with persistent pain are four times more likely than others to experience depression or anxiety, and twice as likely to have difficulty working.

Considering the impact it can have on an individual’s wellbeing, pain is considered to be one of the key determinants of quality of life. This takes into account the impact that it might have on a person’s ability to take part in a range of roles in society and be satisfied with their performance.

As such, any therapy or treatment provided should take into account the potential effects it could have on quality of life. It is a more subtle indicator than other variables, but it is a helpful determinant of treatment value and is often a more relevant indicator of patient satisfaction as well as their willingness to accept treatment and follow post operative advice.

How toothache affects quality of life

Dental pain is very common, with 24% of adults affected in the UK. However, its prevalence does not reduce the impact it can have on individuals. Not only is toothache uncomfortable, no matter how long it lasts or severe it is, but it also results in reduced sleep, impacts the ability to socialise and concentrate, has a psychological impact, reduces nutrition, and reduces productivity at work.

Each of these can have a significant impact on people’s daily lives, with eating, speaking, and sleeping all potentially impacted by dental pain. As such, it is important that this is taken into account when examining patients and recommending treatment, with the understanding that pain relief in the short term will be a preference for many patients, particularly if they cannot receive treatment immediately.

What influences the impact of toothache

In addition to its general impact on daily life, it’s important to consider the effects that different types of dental pain can have. Toothache can present as a dull ache that doesn’t go away, a sharp pain, throbbing pain, sensitivity, or swollen and painful gums, and can have a range of causes

including cavities, abscesses, cracked teeth, or gum disease. Depending on the length of time it takes for a patient to seek out and receive treatment, dental pain could last for a while, leading to impacts on physical and mental health in some cases.

Different people will have different pain tolerances, and varying coping mechanisms. However, severe and long-lasting pain is bound to have an impact on anyone. As such, clinicians must arrange treatment as soon as possible, and offer patients advice regarding pain management in the interim.

Advice for patients

When you become aware of a patient in pain, it’s important to get their dental appointment booked in as soon as possible (an emergency appointment may be necessary) and offer them advice about how to manage their pain immediately. Depending on the suspected cause, some helpful recommendations may include taking over the counter pain killers such as paracetamol or ibuprofen, or rinsing with saltwater (in cases of inflammation). However, these options take time to provide relief, and do not provide targeted numbing. A fantastic alternative is pain-relieving gel such as the Orajel Dental Gel. It contains 10% benzocaine allowing patients to directly apply local anaesthetic to the painful area for relief in less than two minutes.

The ability to offer your patients the advice they need to relieve pain that impedes their everyday tasks is invaluable. Enabling them to minimise their pain whilst they wait for the treatment they need will mean they can eat, sleep, and socialise more normally and reduce the impact of dental pain on their relationships, mood, and performance at work. Of course, treating the cause of the pain is essential, and it should be made clear that this is the only way to cure their pain for good, but providing short term solutions that enable patients to complete their daily tasks is important.

For essential information, and to see the full range of Orajel products, please visit https://www. orajelhcp.co.uk/ 

References available upon request

ABOUT THE AUTHOR

The World Health Organization (WHO) describes self-care as the ability of individuals and families to maintain their own health, prevent disease and to cope with illness – with or without the support of a health or care worker.

For patients with chronic conditions, self-care is a bedrock for recovery, getting patients to not just live with a condition, but to try and overcome it where possible.

Temporomandibular joint disorder (TMD) is one such condition, affecting up to 34% of the world’s adult population. A complex chronic pain disorder, patients with TMD should follow self-care practices to alleviate its symptoms and restore function to the jaw in a non-invasive way. Dental practitioners can empower TMD patients to take charge of their health.

Six steps of self-care

By helping patients identify behaviours that may cause pain, dental practitioners can provide an educational foundation from which the patient can better care for their TMD, focusing on the following:

• Dietary advice and nutrition

• Thermal therapy

• Massage

• Therapeutic exercises

• Parafunctional behaviour identification, monitoring and avoidance

Controlling diet is a form of self-care for TMD patients. Certain foods can aggravate the jaw by forcing the mouth to open as wide as possible. When wanting foods that traditionally do this –apples and burgers, for instance – TMD patients should cut these down into smaller pieces. For those reporting high levels of pain, reducing hard foods may be an essential step to limit mastication and jaw use.

TMD pain can manifest in two ways: a dull, steady ache, or an occasional sharp, stabbing pain. In cases of the former, patients are advised to apply heat, such as a hot water bottle or a warm towel, to the afflicted area. This increases blood circulation and allows the jaw muscles to relax. For the sharper pain symptoms, cold packs wrapped in thin towels are ideal; they reduce inflammation and numb the pain.

Executing exercises

Whilst alleviating pain is vital for an improved quality of life, it does not treat the problem.

Jenny is the Marketing Manager at Orajel

Therapeutic exercises are an effective treatment for TMD, especially for patients with limited mouth opening. These can lead to longterm success, encouraging mobility in the temporomandibular joint (TMJ) and lowering the risk of dysfunction. Able to be done from home, therapeutic exercises offer many benefits to increase patient compliance.

Whilst some health conditions may demand a physiotherapist for rehabilitation, seen at either the patient’s house or the practitioner’s clinic, self-care eliminates this aspect as many TMD treatments do not need a professional to complete the exercises; patients only need to coordinate review appointments. Selfcare therefore saves time and prevents the risk of miscommunication.

Empowering the patient

Self-care empowers patients to take control of their health, letting them choose the time that best suits them to complete their recommended exercises. Empowerment can be a pivotal value for some TMD patients, particularly those with depression or anxiety, and those who are often stressed. These conditions can increase the risk of clenching or bruxism, aggravating the TMJ. At-home solutions are appropriate for these patients, allowing them to rehabilitate from the comfort and security of home, without having to plan their day around an appointment. Doing this may increase compliance, whilst certain TMD devices can also be portable enough for patients to pack when travelling.

It should always be highlighted that self-care is an extension of the appointment – it is not them being left alone to solve a problem. Patients should be advised on the minimum and maximum exercises needed for the best outcomes, reducing the risk of over-exercising and damaging the TMJ. Practitioners can also curb this outcome by completely informing the patient about their condition – this can reduce fear, depression and anxiety too.

The road to recovery

Patients affected by TMD may find an ideal selfcare solution with the OraStretch ® Press Rehab System from Total TMJ. Perfect for home use, the handheld device opens the mouth, mobilising the jaw and stretching the orofacial tissues. The simple design gives way to numerous therapy exercises

depending on the severity of the condition, helping all TMD patients restore function to the jaw in a non-invasive way, ensuring compliance.

Promoting self-care gives TMD patients the best chance of managing their condition, helping to overcome chronic pain and keeping the jaw active. Following the recommended programme of therapeutic exercises can improve a patient’s quality of life – they just need the right device.

For more details about Total TMJ and the products available, please email info@totaltmj.co.uk 

References available upon request

ABOUT THE AUTHOR

HARNOTT

Karen is TotalTMJ Operations Director.

Award Winning Patented Technology

A clinically proven medical device that outperforms all other leading sensitivity toothpastes.* BioMin F provides 12-hour protection with slow-release fluoride and reacts to changes in oral pH by releasing minerals that rapidly neutralise acidity.

Nature vs nurture

A.K.A. genetics vs behaviour

As dental professionals, we spend our professional lives encouraging patients to adopt healthy behaviours for improved health outcomes. Our advice and tailored recommendations, though always based on science and experience, often require patients to introduce additional steps into their oral health routine or restrict unhealthy habits. The result is lower compliance than we would like. But how much difference do our patients’ actions really have on their oral health? What is genetic and what is behavioural?

In the genes

Geneticists have been studying the genome for the past century, attempting to unlock the secrets contained within each individual’s DNA. Consequently, we know that genes play an important role in a person’s predisposition to certain health concerns. Conditions such as cancer, cardiovascular disease, diabetes, autoimmune disorders and psychiatric illnesses are all more likely where a family history of the disease is identified. This is especially relevant given that family members will typically have been exposed to similar geonomics and environmental factors, providing insight into aetiologic heterogeneity of certain diseases as well.i

Interestingly, this is a field of study in which artificial intelligence (AI) is increasingly involved. The technology has already shown promising results in helping to combat the many challenges of genome-wide association studies and the complex data associated with them. ii

With regards to oral health, genetics have been shown to influence the development of some conditions far more than others. For instance, tooth agenesis has a genetic component, iii as does tooth position and therefore malalignment. iv

In most cases, a combination of genetic and environmental factors contributes to dental disease. For example, research confirms that a person’s genetic compound can affect their susceptibility to inflammation and, therefore, periodontal disease.v There is also evidence to suggest that genetics influence the development of dental caries.vi However, in both cases, environmental and lifestyle factors are thought to have a greater impact on disease progression than genetic programming.vii

Environmental, social and lifestyle factors

This is true of almost all oral health-related conditions, which are caused or worsened by environmental determinants. These involve aspects such as equality, livelihood, access to health care and a social support network, as well as broader issues like climate change and the future evolution of pathogens.viii

Beyond these, there are various sociological factors that affect all areas of health, including oral health, like food security and housing stability. ix These can often influence a person’s diet, for example, which directly affects nutrition, as well as systemic and dental health. x Further lifestyle factors associated with periodontal disease, dental caries and other oral health conditions include smoking tobacco, alcohol consumption, weight and quality of sleep. xi

Of course, one of the largest – if not the largest – social determinant of oral health is the patient’s daily oral health routine. As we know, patients’ habits and behaviours regarding oral hygiene are crucial in minimising the risk of developing dental diseases. At the very least, basic principles must be consistently followed, including twice daily brushing, use of fluoride toothpaste, daily interdental cleaning and regular dental check-ups. Their approach to oral hygiene should also adapt as their age or personal needs change in order to remain as effective as possible. xii Missing any one of these steps will negatively impact oral health, no matter what their genetics indicate.

Improving the odds

While genetics can’t be changed, being aware of a predisposition to disease can help guide preventive measures. This means the dental team can more accurately advise patients on how to reduce their risk of oral health concerns and educate them on the signs to look out for to ensure early detection.

Behaviours, on the other hand, can be modified. A change in attitude and approach to dental hygiene, as well as broader elements such as diet, can do wonders for patients’ health. However, this is always a lot easier said than done, as adopting new behaviours can be a difficult process for many individuals.

Dental professionals can facilitate behaviour change in a number of ways. Motivational

interviewing is one tool that has been identified as useful in encouraging behaviour change in patients. As a long-term solution, it must be delivered over a number of sessions. For the greatest success, it should also be utilised for patients who are identified as open to and ready for change. xiii Signposting patients to reliable resources is also beneficial, allowing them to continue educating themselves on how they can drive risk down for a healthier dental future.

Simple questions, complex answers

The complex nature of dentistry means that few questions can be answered in a clearcut way for the majority of patients. When it comes to whether genetics or behaviours have most impact oral health, in reality, it is a combination of both. Dental professionals are perfectly placed to tailor information and advice for patients according to their inherited risks and personal habits to help them achieve the best outcomes.

For further information about the endodontic referral services available from EndoCare, please call 020 7224 0999 or visit www.endocare.co.uk n

References available upon request

ABOUT THE AUTHOR

EndoCare, led by Dr Michael Sultan, is one of the UK’s most trusted Specialist Endodontist practices, and a dependable referral centre, to which dental professionals from across the country send their patients for the best in specialist endodontic treatment.

A Revolution in Oral Care

The most effective and body-friendly way of healing soft tissue and oral wounds.

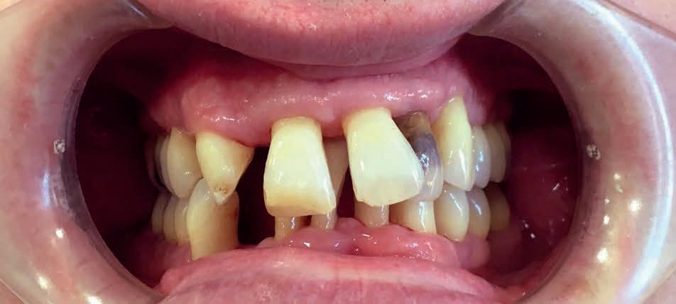
Patient Case Study – Before

Patient presented with Stage 4 Grade B Generalised Periodontitis.

Treatment: RSD Q&Q. blue®m TOOTh protocol.

Patient Case Study – After

Recall at 12 months

Case study and photographs courtesy 0f Pat Popat BSc(Hons), PTLLS, RDH, RDT

Oxygen for Health

With it's unique, oxygen enriched formula, blue®m ghts perio disease and reduces pocket depth.

Exploring the link between oral health and brain function

Typically, cognitive decline is seen as a normal part of aging, with mild cognitive impairment affecting 15% of older adults. Cognitive impairment is a risk factor for developing dementia or Alzheimer’s disease, and is therefore a large public health concern, requiring the need to understand contributing factors for cognitive decline, and any ways to potentially reduce the risk. As mouth bacteria is thought to be an indicator for future brain health, dental professionals have a key role to play in supporting their patients in maintaining a healthy oral microbiome, preventing oral diseases and protecting their long-term general health.

Bacteria linked to brain function

Periodontitis and edentulism are associated with reduced cognitive function, potentially due to the inflammation and damage caused by pathogenic oral bacteria – such as Porphyromonas gingivalis. A study, led by the University of Exeter, revealed that certain types of bacteria were associated with better memory and attention whereas others were linked with poor brain health and Alzheimer’s disease. The study highlighted that apolipoprotein E4 (APOE4) genotype and nitric oxide (NO) deficiency are risk factors for cognitive decline during ageing. As the oral microbiome has an impact on maintaining NO during this time, the study assessed the interaction between the oral microbiome, NO biomarkers, and cognitive function in order to establish its potential impact. The study found that individuals who had higher levels of P. gingivalis were more likely to have memory issues, and that those with Prevotella present were linked to the presence of the APOE4 gene, and were therefore at a higher risk for Alzheimer’s disease. Both of these bacteria types are linked to periodontal disease, therefore suggesting that the prevention of oral diseases will in turn reduce the risk of developing cognitive impairment in the future. The study’s findings reveal that the oral

Calling all dentists! Do you want samples or a practice visit? Speak to our UK dealers, Trycare on 01274 88 55 44 or email: dental@ trycare.co.uk, or CTS on 01737 765400 or email: sales@cts-dental.com

microbiome may be a factor that initiates systemic inflammation, ultimately leading to neurological damage that results in Alzheimer’s disease. Further to this, lifestyle and environmental factors that modulate the oral microbiome resulted in variations in the progression of neurodegeneration.

Conversely, participants in the study who had higher levels of Neisseria and Haemophilus performed better in cognitive tasks related to memory and attention, with these bacteria related to enhanced oral health. It is important that dental professionals are aware of this link, and the important role oral health can play in their patients’ long-term cognition. Interventions that promote beneficial bacteria may help delay cognitive decline and, even though oral health is not officially considered a risk factor for dementia and Alzheimer’s disease, clinicians should make the appropriate recommendations for patients with poor oral health or who are at risk for oral diseases such as periodontitis.

Taking care of oral health for overall health

In order to assist patients in the prevention of oral diseases, it’s important to offer oral hygiene instructions. The removal of plaque is essential to prevent disease, with plaque scores reduced by 50% following toothbrushing (either with or without the use of a toothpaste). This highlights the key role that mechanical plaque removal plays. However, the use of a toothpaste is essential for the delivery of fluoride – considered to be highly effective in the prevention of caries development.

It can be helpful to recommend the appropriate tools for patients to use, in order to ensure they are using high quality oral care products to protect their oral health. A toothpaste should contain an appropriate concentration of fluoride in order to access its enamel strengthening properties.

BioMin® F toothpaste offers advanced protection and lasting effectiveness. Unlike regular toothpastes, it contains 530ppm of fluoride that is slowly released over 12 hours – providing up to six times longer protection. Its unique formulation uses a ground-breaking bioactive glass that bonds to the tooth surface, sealing exposed pathways to the nerves and releasing fluoride ions precisely when needed, especially in the presence of acid from

food or drink. This efficient delivery system means less fluoride is needed for superior results. For younger patients, BioMin® F for Kids delivers the same powerful protection in a gentle, child-friendly strawberry flavour.

Oral health throughout life has a significant impact on cognitive health as we age. As such, supporting patients in maintaining their oral health is essential for delaying cognitive decline later in life. Dental professionals play a key role in educating and assisting their patients in the prevention of oral disease, so making specific recommendations tailored for each patient is vital.

For more information about BioMin®, and their innovative range of toothpastes, please visit www. biomin.co.uk, or email marketing@biomin.co.uk. 

References available upon request

ABOUT THE AUTHOR

Alec is CEO at BioMin Technologies.

Breaking barriers around patient education

It can be easy for patients to think of dental professionals as problem solvers, repairing damaged teeth and treating oral diseases. However, patients should always be encouraged to take a proactive approach with their oral health; enacting changes that prevent or lower the risk of disease or trauma from happening in the first place. For dental practitioners, this proactive approach cannot be implemented unless they educate their patients to an optimal level. From demonstrating correct brushing techniques to identifying dietary threats to the teeth and gingivae, there is a host of topics that need to be conveyed, but this education can have several barriers that limit the dental practitioner. Overcoming these barriers is imperative.

Taking the time

Amidst a working day and back-to-back appointments, finding time in an appointment to discuss a patient’s oral hygiene routine can be difficult. Dental practitioners will not want to rush through a check-up as patients may feel dissatisfied and problems in the oral cavity may be overlooked. Being able to explain effective oral hygiene techniques and other preventative measures in a concise, simple way is therefore vital. This means the patient can be checked thoroughly, information and advice are given, and a backlog of appointments isn’t building up from spending too long.

Co-operation and communication

Communication is a cornerstone for all healthcare providers. Being able to diagnose and solve problems relies in part on the patient describing their symptoms and on the dental practitioner describing the recommended plan of action. To discuss oral hygiene routines in a friendly and supportive way, consider employing the following communication techniques:

1. Open-ended questions

With open-ended questions, dental professionals can make their patients feel comfortable enough to answer honestly. For instance, a direct question such as ‘when did you last floss?’ carries a bluntness that may be intimidating; patients may feel like lying to avoid embarrassment. Instead, a question like ‘on a scale of 1-10, how confident are you with flossing?’ is broader, giving the patient time to

consider their answer. Giving ‘1’ as an option also shows that the dental professional will expect any level, empowering the patient to answer truthfully. Other suggestions include ‘tell me your thoughts on x’ and ‘how would you like to improve your teeth?’ Open-ended questions should always give the practitioner a greater insight into the patient’s life and promote conversation that leads to change.

2. Affirmation

When patients detail their oral hygiene routine, affirmation is vital for empowerment. Patients do not want to be told if they are doing something incorrectly. Even if a patient admits that they only clean interdentally once a week, practitioners should agree that it’s a good start, rather than lamenting the six days where it isn’t completed. To increase compliancy, positive support should always be given to any oral hygiene practice and this can further encourage the patient to be more consistent with their routine.

3. Reflective listening

Reflective listening is the practice of letting the patient talk, giving them undivided attention, and then paraphrasing what they have said to indicate that they have been understood. Listening is an essential part of the patient-practitioner relationship, with inadequate communication increasing the risk of dental malpractice claims.i

4. Summarise

Practitioners should always summarise what the patient has said and what happens in each appointment. This reinforces the exchange and ensures that everything is equally understood by both parties. For the patient, this means they can walk out of the practice and better remember the details on their oral health. A follow-up email can also help with this.

A top training programme

Practitioners must also have the skills and resources themselves to educate patients – even though they may understand the oral cavity, how many dental practitioners can effectively teach correct brushing techniques to their patients?

For a comprehensive understanding on the best ways to educate patients, sign up for the iTOP Introductory seminar from Curaden. The iTOP programme focuses on individually trained oral prophylaxis, giving dental professionals the opportunity to improve the way they teach oral hygiene techniques. Those who take on the subsequent seminar levels – Advanced, Recall, Educator – can benefit from the Touch2Teach workshop, where practical skills are put to the test to master oral hygiene. Complete the iTOP programme and guide your patients to a healthier future today. Don’t let time, communication and skills be barriers to enhancing patient care – by showing each patient that they care, dental practitioners can empower them to be proactive with their oral health, preventing the risk of disease and keeping their smiles bright.

To arrange a Practice Educational Meeting with your Curaden Development Manager please email us on sales@curaden.co.uk

For more information, please visit www.curaprox. co.uk and www.curaden.co.uk n

References available upon request

ABOUT THE AUTHOR

Andrew Turner is Head of Marketing UK & Ireland, at Curaden UK

Dental anxiety – how to alleviate the fears of patients to ensure they get the care they need

Learning objectives

• Understanding some of the root causes of dental anxiety

• To assess the impact of dental anxiety on oral health, and oral health related quality of life for patients

• To help clinicians integrate anxiety-relieving strategies into everyday practice

GDC Development Outcome: D

Official government statistics published last year show that 42% of adults with natural teeth experience moderate to high dental anxiety and a further 12% experience extreme dental anxiety. The survey, commissioned by the Office for Health Improvement and Disparities (OHID), reports that 19% of patients have avoided seeking dental treatment due to their fear of the dentist.

Avoiding dental care has serious implications for the oral and systemicii health of patients, and evidence also indicates damaging consequences to their mental health and quality of life.iii Strategies to ensure anxious patients feel welcome, empowered and supported can improve their attendance, and increase the likelihood of early intervention against many oral diseases, such as cariesiv or oral cancer,v significantly improving outcomes.

The numbers in detail

The Modified Dental Anxiety Scale (MDAS) vi was used to gauge dental fear in the OHID survey cited above. i Within this study, 13% of respondents reported anxiety about receiving treatment on the following day; 12% felt anxious when sitting in the waiting room; 28% reported fear when anticipating having a tooth drilled; 11% were trepidatious about having their teeth scaled and polished; and 25% were afraid of a local anaesthetic injection.

15% of respondents said that past experiences with a dentist had contributed

to their anxiety, and a sex differential was also noted. 16% of women had an MDAS score of above 19 indicating extreme dental anxiety compared with 8% of men. Fears seem to reduce with age. 14% of those aged between 16 and 24 experienced extreme dental anxiety, compared with 6% of over-75s. There is a socio-economic association with dental anxiety. The proportion of adults who reported extreme dental anxiety was 15% in the most deprived neighbourhoods and 9% in the least deprived areas. Other studies vii confirm the link between socioeconomic standing and dental anxiety, citing concerns about the cost of treatment.

Common fears

Fostering effective patient communication is important to understand the source of anxiety. As commonly assumed, fear of pain is indeed a leading factor, but some surveys identify a range of other triggers.viii Among adults, common fears include:

• Discomfort around sensory factors, such as the sound of drills and other patients in distress, the smells of some commonly used materials in the dental treatment room, and the sight of needles and dental instruments.

• A fear of procedures that may draw blood.

• A fear of gagging or choking.

• Fear of judgement by clinicians, anxiety about unfriendliness, or a condescending attitude, lack of sympathy and/or encountering angry reception staff or clinicians.

• Fear based on past traumas or negative experiences related by anxious family members or peers.

• Anxious patients have a more acute perception of pain, and fearful patients report feeling discomfort for a longer duration than those with greater confidence.

Long waiting times in the clinic can exacerbate feelings of anxiety, giving patients too long to anticipate the treatment they might experience.

Insufficiently long dental appointments may also make patients with a dental phobia feel rushed and confused, especially if they feel pressed to make decisions.vii

Common presenting behaviour

For an individual with dental anxiety, a visit to the dentist can provoke symptoms such as apprehension, irritability, defensiveness, heightened emotions and aggression, as well as somatic symptoms such as dizziness, weakness or pain. ix

Studies x have linked dental anxiety, and related aggression, to depression. This

link has been especially noted in men with dental anxiety. Clinicians are urged to note symptoms commonly associated with depression, such as low mood, a sense of hopelessness or helplessness, low motivation, fatigue, difficulty making decisions, and moving or speaking slowly.

Impact on oral health and oral health related quality of life

(OHRQoL)

The consequences to oral health of dental anxiety can be catastrophic. Even if anxious dental patients attend regular dental visits, they may avoid necessary follow up appointments to complete the required dental treatment. This avoidance of dental treatment results in a higher incidence of caries and a greater need for oral rehabilitation. Dentally anxious patients are also more likely to experience periodontal disease, chronic periodontitis, and edentulism. xi

Reduced anxiety levels have been linked with improved oral health literacy. iii A greater awareness of dental conditions has been shown to reduce patients’ experience of dental anxiety, and consequently have a positive impact on their wellbeing and oral health related quality of life (OHRQoL).

Ways to make your practice and dental treatment more accessible to anxious patients

Many patients’ first experience of a dental practice will be through the website, advertising or other branded materials. Conveying a kind and caring ethos through these channels, with clear information xii and friendly imagery can help to reassure patients in advance of their visit. Similarly, training for reception staff or team members who communicate with patients by phone, emails or letters, as well as in person can help to ensure a consistently approachable and friendly tone is maintained. xiii

Reducing waiting times in the clinic can help patients feel less anxious, and if they

do have to wait, creating visual interest with the use of colour, soft lighting, artwork, posters, books and magazines can help to relax patients. xiii

Music can help create a calming ambience, and where possible, sounds from treatment rooms should be muted. The use of scents can help to alleviate feelings of anxiety. Lavender scent, in particular, has been shown to reduce levels of cortisol and systolic blood pressure, xiii but any pleasant essential oil scent can help to mask some smells associated with dental procedures that can trigger negative associations for some patients. xiii

Helping a patient understand what to expect can help them enhance their sense of control. The ‘tell, show, do’

technique can help shape behaviour by explaining procedures verbally, through demonstrations, showing the patient how the procedure will be undertaken, and then – without any deviation from the explanation and demonstration, carrying out the procedure. Modelling – showing patients a video of a patient undergoing the selected treatment, and then leaving the practice to show no lasting effect – can also be highly effective. Another method to help empower patients is to stop treatment as soon as a patient gives a pre-agreed signal. This can help to increase trust between clinician and patient. xiii

Other recommendations for patients include CBT, hypnotherapy, systematic desensitisation and acupuncture. If

To answer the questions below, visit cpd.the-probe.co.uk and register/log in. Click on ‘Courses’. Search for the course with the same headline as the corresponding article.

anxiety is severe, conscious sedation or general anaesthesia can be considered. xiii

Tools for educating and informing patients

When demonstrating to patients how they can enhance their oral health, the FLEXI Educator tool from TANDEX puts power into patients’ hands. The tool reminds them which of the 11 FLEXI interdental brush size options are best for them. Using simple, friendly imagery and language indicates to patients how to keep their teeth healthy in between appointments.

Dental anxiety can have a severe impact on patients’ oral, physical and mental wellbeing. Helping them to feel more comfortable in the dental office, as well as using tools to enhance their sense of empowerment can greatly help improve their confidence.

For more information on Tandex’s range of products, visit https://tandex.dk/ Our products are also available from DHB Oral Healthcare https://dhb.co.uk/ n

References available upon request

About the author

CPD questions – Dental anxiety – how to alleviate the fears of patients

1. What percentage of dental patients experience extreme dental anxiety?

a. 5%

b. 9%

c. 12%

d. 42%

2. How many patients report fear of anaesthetic injections?

a. 10%

b. 12%

c. 25%

d. 67%

3. Which of the following fears are among the most commonly experienced by patients?

a. Fear of choking

b. Fear of staff or dental team members being angry

c. Fear of blood

d. All of the above

4. Which of the following are mentioned as symptoms of anxiety?

a. Dizziness

b. Uncontrollable hiccups

c. Lucidity

d. A judgemental attitude

5. Dentally anxious patients are more likely to experience:

a. Caries

b. Edentulism

c. Periodontitis

d. All of the above

6. The scent of lavender has been found to:

a. Increase cortisol levels

b. Reduce cortisol levels

c. Increase blood pressure

d. Cloud patients’ judgement

Jacob Watwood on behalf of Tandex.

Tooth resorption

Learning objectives

• To learn more about tooth resorption, its causes and symptoms

• To learn how to recognise signs of resorption

• To develop an awareness of preventative measures to assist patients in avoiding tooth resorption

GDC Development Outcome: C

Tooth resorption, defined as either a physiological or pathological condition resulting in the loss of dentine, cementum and/or bone, can affect the crown or root of the tooth. There are a number of categories and types of resorption that can affect teeth, each with their own aetiology and pathogenesis.

The most frequent cause of tooth resorption is orthodontics (45.7%), followed by trauma (28.5%), parafunctional habits (23.2%), poor oral health (22.9%), malocclusion (17.5%), and the extraction of a neighbouring tooth (14%). ii

Internal tooth resorption

Internal tooth resorption is a rare condition, usually following injury to pulp tissue from physical trauma, or caries-related pulpitis. iii It begins within the pulp or in the dentine of the root canal walls. It progresses outwards towards the cementum and, if not treated, it can ultimately result in communication with the periodontal ligament (PDL) and surrounding bone. There are three types of internal tooth resorption – surface, inflammatory and replacement. i

Internal surface resorption, which occurs on the walls of the root canal, has few symptoms or clinical signs, and is not visible on radiographs. It is thought to be caused by minor irritation to the dental pulp, which can cause complications if left untreated for long periods.

Internal inflammatory resorption begins within a section of the pulp or root canal, resulting in the loss of dentine, which progresses outward. This condition occurs where there is necrotic and infected pulp tissue, and is most commonly linked to caries. i

External tooth resorption

External tooth resorption usually begins within cementum and/or dentine, progressing inwards towards the dental pulp. There are eight types of external tooth resorption: surface, inflammatory, replacement, invasive, pressure, orthodontic, physiologic and idiopathic. i

External surface resorption usually involves small areas of the external surfaces of a tooth, and is often caused by a localised injury to a section of the cementum and/or PDL. Provided the

irritation is not prolonged, this type of resorption is generally a temporary condition, requiring no treatment. iv External inflammatory resorption is subdivided into apical and lateral resorption. It occurs when the root canal system has become infected, and there has been damage to the external surface of the root, involving the cementum or PDL. Inflammation may already be present following an injury or prompted by infection. If the infected root canal system is not treated, then inflammation

Up on CPD

will persist, and cellular processes will be activated to resorb the tooth and the adjacent bone. v

External invasive resorption, also known as external cervical resorption, is a condition where the hard tissue of a tooth, particularly at the cervical area, is gradually destroyed. This process is strongly related to the bleaching of pulpless teeth after trauma caused by injury or infection. 72% of external invasive resorption cases are found in maxillary teeth. ii

External pressure resorption occurs due to prolonged pressure to a tooth, and can be caused by anything from an adjacent impacted tooth, to a tumour or cyst. In the early stages of pressure resorption, there may be no symptoms. However, as the condition progresses there can sometimes be symptoms associated with the pulp, or evidence of the irritant causing the pressure.

Orthodontic resorption is the resorption of the apical part of one or more teeth, resulting in shortened roots. Similar to external pressure resorption, this condition is always associated with

orthodontic treatment, and always apical, whereas pressure resorption can occur anywhere along the length of the root surface.

Physiological root resorption is the essential and normal process of exfoliation of deciduous teeth as permanent teeth develop and erupt. It involves the resorption of dentine and cementum, and the removal of soft tissues like the pulp and PDL. vi Rarely occurring, idiopathic resorption –as the name suggests – is the resorption of permanent teeth with no obvious cause. In most cases, idiopathic resorption is mild, involves multiple teeth, and typically results in apical structure loss of less than 4mm.

Replacement resorption

Replacement resorption is the replacement of cementum, dentine and PDL by the surrounding alveolar bone in a fusion process called ankylosis. This type of resorption occurs following severe dental trauma, such as intrusion, lateral luxation or avulsion, where the PDL and typically more than 20% of

the root surface have been damaged. Replacement resorption may be divided into internal and external based on location. ii

Internal replacement resorption is a rare condition where the replacement of tooth structure with bone is initiated within the root canal system. Trauma to pulp following a traumatic episode leads to cellular changes resulting in the production of cancellous-like bone within the root canal which progressively replaces pulp and dentinal tissue.

External replacement resorption involves the progressive replacement of cementum and dentine on the surface of the root structure by alveolar bone, resulting in eventual tooth loss. ii

Diagnosis and treatment

Because many forms of tooth resorption are asymptomatic in the early stages, the

condition is often diagnosed incidentally by radiographic examination. As the condition progresses, there may be symptoms such as pain, and tooth mobility. In complete coronary resorption, granulation tissue presenting as a pink spot may be visible on the surface of the tooth. A final diagnosis for all forms of resorption is confirmed by radiographic data.vii Treatment for tooth resorption is normally endodontic, and recent advances in regenerative treatment protocols have allowed for the revitalisation of resorbed teeth. Clinical management is more likely to be successful when there is early intervention. vii

Oral health

Nearly a quarter of all cases of tooth resorption are thought to be caused by poor oral hygiene associated with caries or periodontal disease. Orthodontic resorption may also be associated with periodontal disease as well as pressure applied by orthodontic treatment. i Maintaining excellent oral hygiene is of vital importance in the prevention of complications from this condition. TANDEX produces a comprehensive range of oral health products designed to make maintaining an excellent oral health routine easy for your patients. Recommend the FLEXI range of

To answer the questions below, visit cpd.the-probe.co.uk and register/log in. Click on ‘Courses’.

Search for the course with the same headline as the corresponding article.

interdental brushes from TANDEX, which come in 11 different sizes, and can be reshaped to fit every patient’s interdental spaces. Adding just a small amount of PREVENT Gel to the tip of a FLEXI interdental brush provides 0,12% chlorhexidine and 900 ppm fluoride for powerful strengthening and antibacterial properties.

Although some forms of tooth resorption can be difficult to diagnose, and often persist for years without symptoms, significant damage to dental tissue, bone and ligament tissue can be prevented if the condition is caught early. By improving awareness of the symptoms of tooth resorption, and by helping patients improve their oral hygiene, clinicians can greatly improve treatment outcomes for patients.

For more information on Tandex’s range of products, visit https://tandex.dk/ Our products are also available from DHB Oral Healthcare https://dhb.co.uk/ n

References available upon request

About the author Jacob Watwood on behalf of Tandex.

1. What is the leading cause of tooth resorption?

a. Orthodontics

b. Dental injury

c. Caries

d. Bruxism

2. Which of the following is not a type of internal tooth resorption?

a. Replacement resorption

b. Surface resorption

c. Inflammatory resorption

d. Pressure resorption

3. How is replacement resorption defined?

a. The replacement of teeth by gingiva

b. The replacement of cementum, dentine and periodontal ligament by alveolar bone

c. The replacement of cementum and dentine by the PDL

d. The replacement of pulp by calcium deposits

4. What percentage of tooth resorption is caused by parafunctional habits?

a. 22%

b. 26.2%

c. 23.2%

d. 14%

5. Internal inflammatory resorption is most commonly linked to:

a. Traumatic dental injury

b. Caries

c. Periodontal disease

d. None of the above

6. Idiopathic resorption typically results in apical structure loss of less than:

a. 2mm

b. 3mm

c. 4mm

d. 5mm

Interdental oral hygiene aids –

is it a simple

matter of preference?

I’ve never understood why, in the UK, the subject of interdental cleaning is a battleground where dental healthcare professionals club each other over the head with their preferences. They act in an almost hateful way towards colleagues who express a preference for a method that differs from their own. Although a toothbrush is the most effective and important oral hygiene aid for overall prevention, it is relatively ineffective at removing interdental plaque. Therefore, patients need to rely on additional techniques. Interdental cleaning via any method is an adjunct to brushing and not an alternative. In this article I’ll be sharing my preferences on interdental cleaning aids, specifically: tape floss, brushes, picks, prongs and sticks.

Interdental regions present more plaque and gingivitis2,3 and are most affected by periodontal attachment loss.4 And, in my experience, more tooth decay, which is typically found adjacent to the contact point in younger individuals and immediately below the cement-enamel junction in older ones.

The quality of evidence to recommend one product over another is poor.5 However, one thing is for sure: the product is only as good as the person holding it. This means that if someone is good at using one device, they’ll be good at using another and vice- versa – if they are bad at using one device they’ll be bad with another. Often the feature that is lacking is time. Obviously, for individual patient oral health, it is best to form a tailored solution based on their oral health status and risk profile.6

The eruption years

As the teeth are erupting, whether it’s the deciduous ones or the permanent ones, it’s a major achievement to get your child to brush them. I rely on the science of having three children of my own for this wisdom. It’s just as difficult to get them to reduce the frequency of sugary snacks, for which I can add my experience of having patients’ parents tell me, “I’m not going to be the only parent who doesn’t put a treat in my child’s lunchbox.”

Interdental cleaning at this age is a bonus. And, if it happens, tape floss is the best performing oral hygiene aid, in my experience, and some of the research matches this.7 I believe this is largely because the exposed part of the tooth surface is convex and ideally contoured for flossing. Figure 1 shows some of the flossing gadgets available to choose from.

Over the years, I’ve found it frustrating when articles appear in the mainstream press claiming ‘flossing is a waste of time’ and/ or questioning its value. These claims are largely due to a lack of or poorquality. They are not as a consequence of flossing having no value. Commentators and people who make this claim usually haven’t put the effort into developing the skill and haven’t ever dedicated the time to doing it consistently. Unfortunately, criticising a small part of the process, like flossing, whilst not committing to the full requirement is common (and lazy).

Flossing in itself, when done properly, is the most refined and elegant way of performing interdental cleaning – it’s most definitely, truly preventive. It’s often missed that the other popular techniques require some tissue loss to have taken place for access, use and function.

Granted, and undeniably, people aren’t good at performing effective dental flossing. Instead, they wrestle with the floss and usually give up when they’ve

accidentally made their gums sore. Traditionally, dental floss comes on a bobbin and is used by being wrapped around fingers. This can make controlling its insertion between teeth difficult. Reliance on fingers also makes adapting the floss to the tooth surface difficult and this makes completing the manoeuvres required to remove the plaque near impossible.

Another way of looking at it is that the concept of dental flossing is scientifically proven whilst the art of performing it isn’t. Due to the difficulties associated with using floss from a traditional bobbin

Fig.1
Fig.2
Fig.4

• Compact unit can be conveniently positioned chairside and is capable of servicing up to 10 surgeries

• Streamline workflow with images in seconds. Drop your imaging plate in the PSPIX2 and let it do the rest

• Improved patient experience with various sizes of thin and flexible imaging plate

• Striking contrast for a more reliable diagnosis

The smallest personal plate scanner on

many gadgets have emerged, each designed with the purpose of making flossing easier and more effective; the single-use disposable floss pick being amongst the most popular. Users generally claim that the plastic handle of the floss pick is flimsy causing it to bend easily. They also say the floss attached to it breaks easily and how they can’t reach their back teeth with it.

The gingivitis years

This is the reversible period prior to any attachment loss. The age range is dependent on individual susceptibility and, usually, the effectiveness of plaque control. Once again, in my experience during this period, floss is best at reducing interdental plaque and some of the research supports my experience.8 For me, tape floss loaded at tension in a rigid handle offers the best results.

There are many options and gadgets available for patients to floss with and Figure 1 shows some of them. Sadly, there is research that has found flossing can be of no benefit at all.9 This doesn’t surprise me as, earlier in my career, I couldn’t see the benefits of flossing either. The barriers are many: most people find floss difficult to use and it requires a high degree of dexterous skill. It doesn’t help that some flossing gadgets are notoriously fiddly or flimsy.

My experience of flossing has improved steadily over my career, and I believe this is largely because the type of patients I care for has also steadily changed. Early in my career, I generally saw patients who weren’t invested in homecare or in turning up for a professional clean and polish with any regularity. Flossing is impossible when the calculus has already formed, or when it’s been partially removed

Now, the patients I care for attend regularly for supportive professional cleaning – although their homecare usually remains as it was when I first met them – inconsistent. They usually confess towards the end of an appointment, after I’ve gently raised my suspicions for the third or fourth time.

Nowadays, my favourite flossing device is the sturdy looking red handle in the centre of Figure 1. I must declare my bias because this is the one I use myself. I’ve been slowly developing it over many years by sticking pieces of plastic together with superglue. Recently, I used my fast handpiece skills to engrave ‘Floss&Co’ on it and am hoping to finish tinkering with it and start finding a manufacturer.

I’ve fashioned it into a robust rigid handle onto which a prefabricated continuous loop of tape floss can be loaded. The arms have just enough flexibility to be squeezed together as the loop is clicked into place. Releasing the arms stretches the tape, creating the perfect tension for it to pass easily between my teeth and, yet, loose enough to hug them as I floss. I use the same loop of tape till it breaks, which is typically about 30 days. I’ve calculated that this innovation, with its continuous loop of tape reduces plastic waste by 98% compared to disposable singleuse floss picks – and that’s progress.

Whatever therapy I’m providing, whether it is active treatment or supportive, its aim is to create a smooth tooth/root surface from which the patient can then easily remove newly formed plaque bacteria. As part of the therapy, I always check my debridement by flossing the interdental surfaces. The tape allows me to check the smoothness of the surface and to identify residual calculus. I finish off by burnishing any sharp edges or potential plaque traps without unnecessarily using my instruments on areas that don’t require it.

The early bone-loss years

Once disease progression becomes irreversible with attachment and bone loss, the teeth start to look longer. The tooth surfaces that were previously concealed under the gums become exposed. These newly exposed surfaces are typically more complex with concavities which floss cannot access. This is when I ask patients to add the use of interdental brushes to their homecare regime.10 My preference

is the Curaprox UHS 420 Duo handle, for which I select two appropriately sized brush heads (Fig 2). This system minimises plastic waste – and, once again, that’s progress.

Patients often report that the bristles separate from the spine and get trapped in the gingival crevice, or that the brush head got partially trapped under a papilla, traumatising it. To this, I can add my experience that when a patient selects the correct sized brush and uses it adequately, with the frequency required to eliminate the inflammation, abrasion of the root surface is consequential and rather sad. See Figure 3.

The exposed furcation years

Over time and, if bone continues to be lost, furcations on multi-rooted teeth become exposed, this is when I ask patients to add the use of wood sticks to their homecare regime. My preference is round wood sticks over square or rectangular ones (Fig 4).11 Wood sticks come top of the list for green credentials and, globally, remain the most used interdental cleaning aid.

In summary

General tooth brushing and flossing have the potential to be truly preventive; the trick is to encourage planned interventions.12 Beyond that, by the time interdental brushes, rubber tips and wood sticks are indicated, irreversible breakdown has invariably occurred.

About 10 years into my career, it was obvious that the science around interdental oral hygiene aids was consistently erratic, with some proving a particular technique to be of great benefit and some proving the same technique to be of no benefit at all. One reason for this, in my experience, is the vast majority of patients rarely comply with the advice given. Those who said they would take heed generally didn’t – and those who said they had usually confessed later that they hadn’t.13 For me, repeatedly giving advice to patients who didn’t follow advice or lied about it became tiresome. In response, I made my own oral hygiene video and uploaded it to YouTube. Now, once I’ve demonstrated a particular technique to a patient, I direct them to YouTube for the repeats – it’s made our relationship much happier.

References:

1. Abed R, Ashley P, Duane B, Crotty J & Lyne A. An environmental impact study of inter-dental cleaning aids. Journal of Clinical Periodontology (2023); 50(1), 2–10.

2. Ramberg P, Axelsson P, Lindhe J. Plaque formation at healthy and inflamed gingival sites in young individuals. J Clin Periodontol 1995; 22:85–88.

3. Axelsson P, Lindhe J. Effect of controlled oral hygiene procedures on caries and periodontal disease in adults. J Clin Periodontol 1978; 5:133–151.

4. Albandar JM, Rams TE. Global epidemiology of periodontal diseases: an overview. Periodontol

2000 2002; 29:7–10.

5. V Worthington H, MacDonald L, Pericic T, Sambunjak D, Johnson T, Imai P, Clarkson J. Home use of interdental cleaning devices, in addition to toothbrushing, for preventing and controlling periodontal diseases and dental caries. Cochrane Database Syst Rev 2019 Apr 10;4(4):CD012018. doi: 10.1002/14651858.CD012018.pub2.

6. Särner B, Birkhed D, Andersson P, Lingström P. Recommendations by dental staff and use of toothpicks, dental floss and interdental brushes for approximal cleaning in an adult Swedish population. Oral Health Prev Dent. 2010; 8(2):185-94.

7. Bergenholtz A, Brithon J. Plaque removal by dental floss or toothpicks. An intra-individual comparative study. J Clin Periodontol 1980 Dec;7(6):516-24

8. Warren P, Chater B. An overview of established interdental cleaning methods. J Clin Dent 1996;7(3 Spec No):65-9

9. Berchier CE, Slot DE, Haps S, GA Van der Weijden GA The efficacy of dental floss in addition to a toothbrush on plaque and parameters of gingival inflammation: a systematic review. Int J Dent Hygiene 6, 2008; 265–279

10. Slot DE, Do¨rfer CE, GA Van der Weijden GA. The efficacy of interdental brushes on plaque and parameters of periodontal inflammation: a systematic review. Int J Dent Hygiene 6, 2008; 253–264

11. Zanatta F, Mattos W, Moreira C, Gomes S, Rösing C. Efficacy of Plaque Removal by Two Types of Toothpick. Oral Health Prev Dent 2008; 6: 309–314.

12. Schüz B1, Wiedemann A, Mallach N, Scholz U. Effects of a short behavioural intervention for dental flossing: randomized-controlled trial on planning when, where and how. J Clin Periodontol . 2009 Jun;36(6):498-505. doi: 10.1111/j.1600051X.2009.01406.x. Epub 2009 Apr 22.

13. Brown JC. Patient non-compliance - a neglected topic in dentistry. JAmDent Assoc. 1981; 103(4):567-569. n

Fig.3

Dentistry Shows

The Dentistry Show

Dentistry Shows

The Dentistry Show

Dentistry isn’t standing still - with rapid advancements in digital dentistry, AI and technology and new ways of treating patients appearing across every specialty. At DSL you will hear from 100+ internationally renowned speakers, be the first to try the latest products and services from 180+ exhibitors, boost your business knowledge and gain Enhanced CPD. Seize the innovations shaping the future and bring more bite to your practice.

Dentistry Shows

The Dentistry Show

The oral microbiome: a clinical guide for modern dentistry

Dr Victoria Sampson explores how understanding and managing the oral microbiome is transforming modern dentistry, shifting the focus from eradication to balance, and from treatment to prevention.

The aim of this article is to examine the clinical relevance of the oral microbiome and how its management is redefining approaches to prevention, diagnosis and treatment in contemporary dentistry.

On completing this Enhanced CPD session, the reader will:

• Understand the structure and function of the oral microbiome in both health and disease

• Recognise the role of dysbiosis in the development of caries, periodontitis and systemic conditions

• Be able to explain the evolution of plaque hypotheses and their relevance to clinical decision-making

• Be familiar with emerging tools such as salivary diagnostics to support personalised care

• Appreciate the importance of modulating microbial balance rather than eliminating bacteria in clinical practice.

Learning Outcomes: C

The mouth is home to over 700 microbial species comprising bacteria, fungi, viruses, and protozoa, forming a dynamic ecosystem known as the oral microbiome. Once considered merely a source of dental plaque or caries, this microbial community is now recognised as a key regulator of both oral and systemic health. 1

For dental professionals, understanding and managing the oral microbiome is becoming essential to practising evidence-based, preventive, and personalised care. As the new generation of patients search for proactive prevention, it is important that dental professionals are aware of the impact the oral microbiome may have on a patient’s general health, as well as their oral health. 1

Why does the oral microbiome matter?

In health, the oral microbiome exists in a state of symbiosis, where beneficial bacteria maintain balance, prevent pathogen overgrowth, and interact with the host immune system. In dysbiosis, this balance is disrupted, often due to factors like poor hygiene, diet, stress, antibiotics, or systemic disease, leading to an overgrowth of pathogens and a shift to dysbiosis.1

This microbial imbalance is now implicated in:

• Dental caries: driven by acidogenic and aciduric bacteria (e.g., Streptococcus mutans, Lactobacilli)2

• Periodontitis: associated with anaerobic, proteolytic bacteria (e.g., Porphyromonas gingivalis, Treponema denticola, Tannerella forsythia)3

• Systemic diseases: including cardiovascular disease, diabetes, Alzheimer’s disease, rheumatoid arthritis, and adverse pregnancy outcomes.4 Emerging research suggests that oral pathogens can enter the bloodstream, cross the blood-brain barrier, and influence inflammation far beyond the mouth. 5 The dentist’s role, therefore, extends well beyond fillings and cleanings; we are frontline gatekeepers of systemic health. After all, the mouth is the gateway to the rest of the body.

A paradigm shift

Our understanding of the oral microbiome has evolved significantly over time, reflecting a broader shift from simplistic views of bacteria as solely harmful to a more nuanced, ecological perspective.

In 1683, oral bacteria were first observed under a microscope by Antonie Van Leeuwenhoek, but it wasn’t until the 20th century that their role in disease was theorized.6 The non-specific plaque hypothesis of the 1930s proposed that the sheer quantity of plaque led to disease, regardless of bacterial composition.7 By 1976, the specific plaque hypothesis suggested that only certain virulent bacteria were responsible for conditions like caries and periodontitis.8

This view was refined in 1994 with the ecological plaque hypothesis, which introduced the concept that disease results not simply from individual pathogens, but from a shift in the overall microbial balance (i.e. dysbiosis) driven by ecological stressors such as pH changes or inflammation. 9 The complex theory introduced in 1998 further classified periodontal pathogens into red, orange, and green complexes based on their pathogenicity. 10

More recently, the keystone pathogen and polymicrobial synergy and dysbiosis (PSD) model has added a deeper understanding: it suggests that certain low-abundance bacteria, like Porphyromonas gingivalis, can act as “keystone” species that manipulate the host immune response and reshape the microbial community to promote disease.11,12 It also highlights how disease emerges not from isolated pathogens, but from cooperative interactions among microbial communities and the host, leading to a breakdown in homeostasis.12

Together, these evolving models have reshaped dentistry’s approach, emphasising the need to manage microbial ecosystems rather than eliminate bacteria indiscriminately. As we have seen a shift in what we understand about the oral microbiome, we also have started to understand that common oral diseases such as periodontal disease are multifactorial diseases caused by not only bacteria, but how our body responds to bacteria and the subsequent inflammation that is released.13,14

We have also started to understand that some patients are more predisposed to a more aggressive host immune response due to their genetics and, with this, the idea of personalised

dentistry. 15 This is the idea that one size does no fit all. Should every patient be treated exactly the same if they have different microbial compositions, inflammatory markers, risk factors and genetic mutations?

The rise of saliva testing

Recent advancements in salivary testing now allows clinicians to assess the presence and relative abundance of key microbial species non-invasively. Commercial microbiome tests can:

• Identify high-risk pathogens linked to periodontal disease

• Detect imbalances in microbial communities

• Detect genetic mutations that may impact a patient’s response to treatment and prognosis

• Track responses to interventions like professional cleanings or antimicrobials

• Support home care and product recommendations

• Motivate patients by helping them understand their oral health.

Whilst saliva testing is still in its infancy and there is still much to be done before it is a mainstream tool, it has been shown to be an extremely promising educational and motivational tool for patients.

Moving from pathogen eradication to ecological balance

Traditional periodontal treatment has often focused on eliminating "bad bacteria". However, this view is shifting. Like the gut, the oral microbiome functions best in balance, not sterility. Newer approaches prioritise modulating the microbiome rather than wiping it out.16

This includes:

• Avoiding overuse of broad-spectrum antimicrobials

• Supporting microbial diversity through diet and low-impact oral hygiene

• Using biofilm-disrupting agents like erythritol, xylitol and enzymes. (NB: The regular disruption of biofilm with Guided Biofilm Therapy by EMS has been shown to have a positive effect on the oral microbiome due to its use of erythritol)

• Introducing commensal-supportive probiotics (e.g., Streptococcus salivarius K12 or M18)

• Products that promote biofilm modulation. This is the idea that we do not kill bacteria but instead downregulate their pathogenic activity.

Entering a new era of dentistry

The oral microbiome represents a paradigm shift for the profession, moving beyond plaque and calculus into the realm of microbial ecosystems, precision diagnostics, and systemic care. As salivary testing becomes more accessible and bioinformatics more powerful, dentists have an unprecedented opportunity to redefine their role.

By embracing the microbiome, we do more than clean teeth. We influence inflammation, chronic disease and overall wellness. It marks a shift from intervention to prevention, from focusing on symptoms to understanding systems. And it starts with recognising that every mouth is a microbiome, and every dentist its steward.

References

1. Kilian M et al. The oral microbiome – an update for oral healthcare professionals. British Dental Journal 2016; 221(10): 657-666

CPD Questions

1. Which of the following best describes the composition of the oral microbiome?

a) Only bacteria

b) Bacteria and saliva

c) Bacteria, fungi, viruses and protozoa

d) Only bacteria and fungi

2. According to the ecological plaque hypothesis, what drives disease?

a) The presence of specific pathogens

b) A shift in microbial balance driven by ecological stressors

c) Poor toothbrushing technique

d) A deficiency in immune response

3. What is one function of erythritol in Guided Biofilm Therapy?

a) To treat cavities directly

b) To eliminate all bacteria from the mouth

c) To remineralise enamel

d) To have a positive effect on the oral microbiome

4. What does the keystone pathogen model suggest?

a) All bacteria are equally harmful

b) Low-abundance bacteria can reshape the microbial community and host response

c) Disease is unrelated to microbial presence

d) High-abundance bacteria are always beneficial

5. What is one benefit of salivary testing mentioned in the article?

a) It can help motivate patients by helping them understand their oral health

b) It eliminates the need for professional cleanings

c) It can replace radiographic imaging

d) It can permanently cure periodontal disease

2. Takahashi N, Nyvad B. The role of bacteria in the caries process: ecological perspectives. Journal of Dental Research 2011; 90(3): 294-303

3. Hajishengallis G, Darveau RP, Curtis MA. The keystone-pathogen hypothesis. Nature Reviews Microbiology 2012; 10(10): 717-725

4. Rajasekaran JJ et al. Oral microbiome: a review of its impact on oral and systemic health. Microorganisms 2024; 12(9): 1797

5. Sudharson NA, Lister P. Joseph M. The microbial ‘link’ that matters. British Dental Journal 2024; 237: 301

6. Van Leeuwenhoek A. Letter describing “animalcules” seen in dental plaque, Sept 17, 1683. Philosophical Transactions of the Royal Society 1683

7. Theilade E. The non specific theory in microbial etiology of inflammatory periodontal diseases. J Clin Periodontol 1986; 13(7): 558-560

8. Rosier BT et al. Historical and contemporary hypotheses on the development of oral diseases: are we there yet? Front Cell Infect Microbiol 2014; 4: 92

9. Marsh PD. Microbial ecology of dental plaque and its significance in health and disease. Adv Dent Res 1994; 8(2): 263-271

10. Socransky SS et al. Microbial complexes in subgingival plaque. J Clin Periodontol 1998; 25(2): 134-144

11. Hajishengallis G, Lamont RJ. Breaking bad: manipulation of the host response by Porphyromonas gingivalis. Eur J Immunol 2014; 44(2): 328-338

12. Lamont RJ, Hajishengallis G. Polymicrobial synergy and dysbiosis model of periodontal disease. Trends Microbiol 2015; 23(3): 145-151

13. Lee YH et al. Progress in oral microbiome related to oral and systemic diseases: an update. Diagnostics 2021; 11(7): 1283

14. Struillou X et al. Host tissue response in the pathogenesis and treatment of periodontitis. Periodontol 2000 2010; 54(1): 277-294

15. Morelli T, Agler CS, Divaris K. Genomics of periodontal disease and tooth morbidity. Periodontol 2000 2020; 82(1): 143-156

16. Tada A et al. Impact of oral microbiome in periodontal health and periodontitis. Microorganisms 2022; 10(4): 797 n

Shifting behaviours and elevating oral health

The aim of this article is explore behavioural change models and how long it can take for patients to adopt new habits, as well as how you can support patients along the way to a better oral health regime.

Learning objectives:

• To appreciate the time that behaviour change can take

• To gain a basic understanding of three major behavioural change models and how these might be applied to dental practice

• To explore how habit formation may be supported for patients

Learning Outcomes: A, C

Dental professionals support their patients in a huge number of ways. Helping individuals elevate their oral health is just the tip of the iceberg, with broader aspects such as diet and exercise, as well as systemic and mental health management included as standard within routine check-ups. In order for patients to truly benefit from the professional advice received in any of these areas, they must often initiate a change within their daily routine and their mindset. This can be extremely challenging and usually requires a sensitive yet firm approach from the practitioner.

The theory of behaviour change

Most theories of behaviour change take into account common variables such as the impact of threats,

fear, attitudes and intentions, as well as a person’ response efficacy, their perceived subjective norms, the barriers they face and the benefits they stand to gain.i These, and several other factors, affect an individual’s desire and ability to change, and so they must be optimised in order to effectively amend a person’s actions or responses.

While dental professionals would never be expected to study behaviour change models in depth, having a basic understanding of the concepts can be hugely beneficial in motivating patients to change their oral hygiene habits. Three key models outlined by a government-backed resourceii are detailed below:

Social Cognitive Theory

One theory published is that by Albert Bandura,iii who suggested that human behaviour is driven by external, rather than internal forces. The concept is that a person’s actions are the result of personal and

environmental factors, which include instincts and traits, as well as situational influences, respectively. Bandura postulated that someone’s self-efficacy, selfcontrol, response to reinforcements and observational learning would all impact their willingness and ability to implement real behaviour changes.

For dental professionals, this model highlights the importance of helping patients build their self-confidence and establishing ways to reward achievements as motivation to continue.

Theory of Planned Behaviour

Another popular concept for behaviour change is the Theory of Planned Behaviour,iv which puts a person’s intention to change at the top of the motivational list. The idea is that attitudes, beliefs and values regarding the expected outcome of a behaviour lead to or inhibit change. Perceived control over an action or habit is thought to have an

impact too, with the model implying that those with lower confidence in their ability to perform the new behaviour, are less likely to adopt it.

Applied to dentistry, each patient’s personal motivation, and therefore intention to change, would be key to their success. Encouraging a positive perception of the new habit and its effects could, therefore, prove useful. Individuals must also be assured that they are capable of performing the new actions to a high enough standard that they will benefit from it.

Transtheoretical model

The third model to be discussed is otherwise known as the Stages of Change concept.v As the name suggests, it puts forward the notion that behavioural change occurs in steps, over a period of time.

1. Precontemplation – not ready for change but intending to start in the coming months

2. Contemplation – considering change more seriously, with intention to make adjustments

3. Preparation – a plan of action is established to make actions a reality in the near future

4. Action – a change is made

5. Maintenance – focus is on preventing relapse

6. Termination – full efficacy is obtained with the new behaviours, which have now become habits

This concept can easily be applied to dental patients, who will often display several signs of being in each stage. It’s important to remember that progress is not always linear and patients may fluctuate between steps before moving forward at any time. However, the model may be useful in identifying an individual’s readiness to change and practitioners can adapt their approach accordingly.

Making it a habit

Somewhere between steps 5 and 6, if applying the Transtheoretical model, it is necessary to transform new actions into long-term habits. No matter what concept being used or what change is being made, this takes time. Evidence shows that habits can start forming for most people within a couple of months, but this varies greatly between different people with results ranging from 4 to 335 days.vi The same research suggested that frequency and timing of the new oral health behaviour could also influence how long it took to become habitual. The really good news for dental professionals is that, when applied effectively, behaviour change is particularly effective with regards to interdental cleaning, as well as diet and physical activity.

CPD Questions

1. What variables do the major theories of behaviour change take into account?

a) Threats

b) Fear

c) Attitudes and intentions

d) All of the above

2. Which theory of behaviour change suggests that people are most driven by external factors, rather than internal?

a) Social Cognitive Theory

b) The Theory of Planned Behaviour

c) Transtheoretical model

d) None of the above

3. According to the Theory of Planned Behaviour, how should patients be encouraged to perceive the impact of the changes they are trying to make?

a) Difficult

b) Positive

c) Easy

d) This model doesn’t touch on this

4. How would you categorise patients in the Preparation stage of the Transtheoretical model?

a) Those who want to change, but not for a few months

b) Those who want to change in the near future

c) Those who have a plan in place to implement change imminently

d) Those who aren’t ready to change

5. How long does it take most people to form a new habit?

a) One month

b) Two months

c) 1 year

d) 2 years

6. What factors can affect the efficacy of habit formation?

a) Action frequency

b) Timing of action

To support patients as they work towards daily interdental cleaning, there are a number of things the dental team can do to help. The first is to ensure patients know exactly what they should be doing and when. Encouraging them to find a trigger that works for them will facilitate behavioural change and give them a cue that reminds them to perform the action each day. This might be before they brush their teeth at night, before they shower in the morning, or after making their bed.

The next step is to recommend a suitable product that they find easy to use and that ensures comprehensive removal of interdental plaque and food debris. The TePe Interdental Brushes are an excellent option, with a broad range of sizes that are colour-coded to make selection as straightforward and engaging as possible. Being simple to use, economical and vastly accessible in several major supermarkets and retail outlets, they are also easy for all patients to introduce into their oral hygiene routine.

Change they can maintain

No matter what dental professionals are encouraging their patients to change for the betterment of their health, it is a process that takes time. By utilising some of the psychological principles of behaviour change, practitioners can arm themselves with the knowledge to really help patients make meaningful and lasting improvements to their everyday routines.

For more information on the innovative new products available from TePe, please visit www.tepedirect.com

c) Both of the above

d) Neither of the above

References

i. Witte, K. (1997). research review theory-based interventions and evaluations of outreach efforts [electronic version]. Planning and Evaluating Information Outreach among Minority Communities: Model Development Based on Native Americans in the Pacific Northwest. retrieved January 29, 2006 from https://documents1.worldbank. org/curated/en/456261468164982535/ txt/526140BRI0Beha10Box345574B01PUBLIC1.txt

ii. Theories of behaviour change. Communication for Governance & Accountability Programme. CommGAP. https://assets.publishing.service. gov.uk/media/57a08b4bed915d622c000bfd/ BehaviorChangeweb.pdf [Accessed June 2025]

iii. Bandura, A. (1986). Social Foundations of Thought and Action. englewood Cliffs, new Jersey: Prentice-Hall.

iv. Armitage, C., & Conner, M. (2001). Efficacy of the theory of planned behaviour: A meta-analytic review. British Journal of Social Psychology, 40, 471–499.

v. Prochaska, J., Johnson, S., & Lee, P. (1998). The transtheoretical model of behavior change. In S. Schumaker, E. Schron, J. Ockene & W. McBee (eds.), The Handbook of Health Behavior Change, 2nd ed. new York, nY: springer.

vi. Singh B, Murphy A, Maher C, Smith AE. Time to Form a Habit: A Systematic Review and MetaAnalysis of Health Behaviour Habit Formation and Its Determinants. Healthcare (Basel). 2024 Dec 9;12(23):2488. doi: 10.3390/healthcare12232488. PMID: 39685110; PMCID: PMC11641623. n

‘And the winners are’ - Part Two

The Probe and Smile proudly present The 2025 Dental Awards

The 2025 Dental Awards marks the 27th edition of this prestigious event that, for more than quarter of a century, has sought to recognise the outstanding individuals and teams whose dedication and drive continues to raise standards throughout the UK dentistry profession.

Winning or becoming a finalist in the Dental Awards is a tremendous accolade that provides a significant boost to the profile of a practice. Not only is the event an opportunity to share in the happiness and success of those who win an award, but it offers the chance to see what fellow dental professionals are doing across the United Kingdom.

The Dental Awards presentation, which streamed on the-probe.co.uk, as well as on The

Front of House / Receptionist

Winner: Claire Smith, Community Dental Services CIC (CDS)

Claire should be so proud. The judges were impressed by her truly admirable dedication to patients and constant drive to improve their experience and go above and beyond. Outstanding.

Highly Commended: Erica Bryant, Chapel Dental

Finalists: Christine Bonanno, Ten Dental + Facial

Shauna Rebecca Church, Inspired Dental Care

Practice Manager

Winner: Nicola Bushell, Community Dental Services CIC Essex

The judging panel could instantly see – and gain insight into – what an outstanding practice manager Nicola is, as she supports her team while helping them to deliver the best care possible.

Highly Commended: Adele Marietti, Imogen Dental

Commended: Maiara Ban, ODL Dental Clinic

Finalists: Alex McWhirter, North Cardiff Dental Chloe Phillips, Stella Dental

National Smile Month

Winner: NHS Ayrshire & Arran Oral Health Improvement Team

The NHS Ayrshire & Arran Oral Health Improvement Team effectively reached the entirety of a population, increasing dental attendance and improving oral health. There were no obstacles, with the team reaching everyone via children’s play areas, supermarkets, GP surgeries, care homes, prison, libraries and their own workplace.

Highly Commended: Community Dental Services CIC

Edinburgh Community Food and LINKnet Mentoring

Commended: Stradbrook Dental & Implant Clinic

Probe’s Youtube channel, is available to watch on-demand now. Scan the QR code (below) to see the winners of The Dental Awards 2025 react to their victories, as well as to discover who was named a finalist in each of the 12 hotly contested categories.

The Dental Awards 2025 is brought to you by B.A. International, Colosseum Dental, Dental Elite, and Waterpik, in association with The Association of Dental Administrators and Practice Managers, British Association of Dental Nurses, British Association of Dental Therapists, British Society of Dental Hygiene and Therapy, and The Oral Health Foundation.

For more, visit https://the-probe.co.uk/ awards/the-dental-awards-2025/

To see the full list of our winners, highly commended, and finalists, and to watch the 2025 Dental Awards Presentation, scan the QR code or visit:

https://the-probe.co.uk/awards/the-dental-awards-2025/

Claire Smith
Nicola Bushell
NHS Ayrshire and Arran OHIT

THE DENTAL AWARDS 2025

Team of the Year

Winner: ODL Dental Clinic

A thorough and well-presented entry, highlighting ODL’s multicultural benefits in providing appointments/ literature in a number of languages, clear patient pathways involving multiple team members, good leadership with focus on team empowerment and staff retention.

Highly Commended: Imogen Dental

Commended: University of Suffolk Dental CIC

Finalists: Serio Dental

Tooth Club UK

Practice

Winner: ODL Dental Clinic, London

Familiar with ODL from previous awards entries, the judges noted that the practice continues to serve as an exceptional clinic with a clear team focus resulting in the best care for their patients. The judges added that the Practice of the Year category featured an excellent level of submissions with teams clearly very dedicated to what they do both for their patients and the wider community.

Highly Commended: Pearl Dental, Bradford

Pure Periodontics Gum Specialist, London

Commended: Imogen Dental, Oxfordshire

Finalist: The Covent Garden Dental Practice, London

Website / Digital Campaign

Winner: ODL Dental Clinic

All of the criteria has been met with all the boxes ticked, and some! The judges enjoyed the site’s friendly feel, which offers plenty of oral health education alongside treatment options to assist with treatment acceptance. With no jargon to complicate the patient journey, there is plenty of clear information about treatments and what to expect. There is a friendly confidence across the whole site which should be recognised and awarded.

Commended: Hayden Dental, Carmarthen

Finalists: Bhandal Dental Practice

Serio Dental

Best Outreach or Charity Initiative

Winner: Edinburgh Community Food and LINKnet Mentoring

An outreach initiative that has really made a difference to a community. The judges felt that the initiative will have undoubtedly made beneficial changes to this community and the population’s oral health.

HighlyCommended: ODL Dental Clinic

Commended: The Rotters – Cazzie Phillips

Finalists: Imogen Dental

University of Suffolk Dental Community Interest Company

Edinburgh Community Food and LINKnet Mentoring

ODL Dental Clinic
ODL Dental Clinic

Attracting top talent

Dental Elite’s experienced specialist dental recruitment team have decades of experience between them in getting the right talent in place for all the roles required by dental practices.

Not only do they have access to a wide pool of brilliant candidates, including associate dentists, dental hygienists and therapists, dental nurses and locums, they can advise your practice on how to ensure you have everything in place to be the most appealing employer you can be.

Dental Elite’s team of professionals can offer advice on attracting, selecting and retaining top talent. They can help you develop a team culture that makes the best candidates want to work with you, advise you on how your selection process can

be optimised, and how you can offer growth and development opportunities to ensure you retain the best team members. Contact the team today to find out more! For more information on Dental Elite visit www.dentalelite.co.uk, email info@dentalelite.co.uk or call 01788 545 900.

Add value to your practice with Eschmann

When you invest in industry-leading washer disinfectors from Eschmann, you instantly add value to your practice. Not only does the equipment elevate compliance and safety standards for patients and staff, but it also streamlines the professional decontamination workflow for increased efficiency and productivity. Benchtop and underbench washer disinfectors are available, with different capacities, so there is something to suit every practice’s needs.

Efficient heavy-duty cleaning, disinfection and drying are provided in less than an hour, with the KIWA KUKreg 4-approved (equivalent to WRAS) equipment featuring user-friendly interfaces and easy-to-read displays.

Plus, to optimise product life, the Eschmann Care & Cover package provides servicing and maintenance by specifically-trained engineers

Help your patients harness the power of benzocaine at home – recommend Orajel™ Dental Gel.

The pain relief gel contains 10% benzocaine, a powerful local anaesthetic that temporarily blocks the pathway of pain signals along the nerves. It relieves pain by numbing the area in less than two minutes.

Orajel™ Dental Gel can be easily applied directly to the painful area, helping patients eliminate pain where and when it’s needed most – able to be applied up to four times a day for continued relief.

Dental professionals can also recommend Orajel™ Extra Strength which contains 20% benzocaine, the maximum concentration

dentalelite.co.uk

who are available across the UK. This also includes validation, unlimited breakdown cover, unlimited Eschmann parts and labour, and Enhanced CPD user training.

To find out more about how the Eschmann washer disinfectors could add value to your practice, contact the team today.

For more information on the highly effective and affordable range of infection control products from Eschmann, please visit: www.eschmann.co.uk or call 01903 753322.

eschmann.co.uk

available over-the-counter and Orajel’s fastest, strongest treatment for toothache.

Find out more by getting in touch with the Orajel™ team today.

For essential information, and to see the full range of Orajel products, please visit the website.

oraljelhcp.co.uk

Supporting parents and carers with their children’s oral hygiene

Tandex provides a comprehensive range of products designed to support parents and carers in the everyday care of their children’s oral health.

CLASSIC 03 BABY, 04 KIDS and 09 JUNIOR toothbrushes for children are soft and kind to children’s developing gingiva and enamel. The CLASSIC 03 BABY has been specifically designed for babies and toddlers up to the age of 3. 04 KIDS is perfectly suited for children aged 4-7. Both of these toothbrushes are designed with a long handle to make it easy for adults to support children in brushing.

The CLASSIC 09 JUNIOR is designed with a broader handle to help older children achieve the ideal grip to brush well independently. The brush head is positioned so children are naturally

prompted to rotate the brush rather than use a back-and-forth motion, helping to achieve a better clean.

The whole range of children’s toothbrushes come in bright, assorted colours, and are the perfect tool for parents and carers to teach children how to keep their mouths clean every day.

For more information on Tandex’s range of products, visit https://tandex.dk/ Our products are also available from DHB Oral Healthcare https://dhb.co.uk/ tandex.dk

A soft touch

Sensitivity caused by periodontal disease, hormonal changes and overbrushing can make normal interdental cleaning uncomfortable – or even painful.

For your patients experiencing sensitive gingiva, recommend UltraSoft Flexi interdental brushes from TANDEX. UltraSoft Flexi come in 4 different sizes, and can be shaped and reshaped, helping patients perform easy and comfortable oral hygiene in all the hard-toreach areas of their mouth.

A small addition of PreventGel from TANDEX provides strengthening and antimicrobial properties, to help keep the mouth extra clean. PreventGel contains 900 ppm fluoride and 0.12% chlorhexidine, and is non-abrasive and pleasant tasting for extra appeal.

Help your sensitive patients with their oral hygiene by recommending UltraSoft Flexi interdental brushes and PreventGel today!

For more information on Tandex’s range of products visit https://tandex.dk/

Our products are also available from DHB Oral Healthcare https://dhb.co.uk/

Operate on the cutting-edge with SprintRay

To introduce or upgrade your existing 3D printing solutions, you want to work with the best in the business. Work with SprintRay.

As your everyday digital partner, SprintRay will help you push the boundaries of what’s possible for your patients. The innovative new Midas 3D printer is an excellent example of this, extending SprintRay’s digital ecosystem of technologies that are reimagining the restorative workflow.

Delivering chairside crowns in less than 45 minutes from start to finish, it achieves previously unknown speed and efficiency. The unique Digital Press Stereolithography allows the use of resins with higher viscosity for increased flexibility. It also utilises AI-powered software to streamline communication with design systems for an even smoother workflow.

The Midas is setting new standards in chairside 3D printing. Contact SprintRay to see how you too could operate at the cuttingedge of the profession.

For more information, visit the website.

sprintray.com/en-uk

Benefits of benzocaine
tandex.dk

The Perfect Couple

Meet FLEXI & PREVENT Gel

The couple that helps you to achieve even better oral hygiene

FLEXI

• The special flexible handle makes it possible to angle the handle to achieve better and easier access to all interdental spaces.

• The non-slip handle ensures good grip, even when fingers are wet.

• All brushes have plastic coated wire. This ensures no metal is in direct contact with teeth and gums, thus making them much more comfortable to use and preventing dental injuries.

• 11 sizes ensure that all needs are covered.

PREVENT Gel

• Strengthens the enamel and has an anti-bacterial effect.

• 0.12% chlorhexidine and 900 ppm fluoride.

• The consistency combined with the needle shaped tube end make it easy to apply directly on the FLEXI brush and use wherever needed.

• Pleasant taste of peppermint.

• No alcohol or abrasives.

Turn static files into dynamic content formats.

Create a flipbook
Issuu converts static files into: digital portfolios, online yearbooks, online catalogs, digital photo albums and more. Sign up and create your flipbook.