Ortopediskt Magasin nr 3 2025

Page 1


nummer 3/2025 grundad

Medlemstidskrift för Svensk Ortopedisk Förening och Sveriges Ortopedingenjörers Förening.

Ortopediskt Magasin utkommer 4 ggr/år; vecka 12, 24, 41 och 52. Manus till redaktionen senast sex veckor innan respektive utgivningsvecka.

Ansvarig utgivare: Maziar Mohaddes

Ordförande Svensk Ortopedisk Förening

Svensk Ortopedisk Förening

Box 738

101 35 Stockholm

tel. 08-550 390 50 e-post: sofkansli@ortopedi.se

Redaktion:

Huvudredaktör: Överläkare Karin Bernhoff

Andreredaktör: Överläkare Christian Carrwik

Redaktionschef: Linda Linnskog Rudh, tel. 0707-467047

Samtliga nås på e-postadressen redaktionen@ortopedi.se

Manuskript skickas till samma e-postadress.

Redaktionsadress:

Ortopediskt Magasin

Svensk Ortopedisk Förening

Box 738, 101 35 Stockholm

tel. 08-550 390 50 e-post: sofkansli@ortopedi.se

Hemsida: www.ortopedisktmagasin.se

Prenumeration:

4 nr 150:- per år för medlemmar. Övriga 250:- per år i Sverige. Övriga länder: 280:- per år.

Prenumeration SOF:s kansli

Svensk Ortopedisk Förening

Box 738, 101 35 Stockholm tel. 08-550 390 50 e-post: sofkansli@ortopedi.se

Prenumeration SOIF, e-post: info@soif.se

Annonser:

För prisuppgifter, övriga uppgifter eller annan information, samt bokning av annonser: Erik Lind, i första hand e-post: annons@ortopedi.se.

Telefon: 08-550 390 50 vid brådskande ärenden.

Bokning senast fyra veckor innan respektive utgivning. Lämning av annonsmaterial senast tre veckor innan respektive utgivning.

Rabatt 10% vid bokning av fyra annonser samtidigt.

Upplaga: 2.300 ex.

Tryck:

Printall AS, Estland Nr 3, 2025. ISSN 0349-733X.

Omslagsbild: Linda Linnskog Rudh

Ledare

Att välja klokt – tillsammans

När Ortopediveckan 2025 samlade oss i Jönköping blev det tydligt att ortopedins framtid inte avgörs av hur mycket vi gör, utan av vad vi väljer att göra – och ibland, vad vi väljer att avstå från.

Kloka val var inte bara ett tema, utan en påminnelse om att det vi gör varje dag påverkar patienterna, vården och framtidens resurser. Klokhet i vården kräver mod – mod att stå fast i klinisk erfarenhet när tekniken lockar med nya möjligheter, samtidigt som vi inom ramen för forskning som gör skillnad utvärderar innovationer på ett vetenskapligt sätt. Det kräver också mod att ifrågasätta invanda rutiner, och att prioritera patientens verkliga behov framför önskan om att alltid ”göra något”.

Arbetet inom Kloka Kliniska Val Ortopedi är ett exempel på hur vi tillsammans kan omsätta dessa principer i praktiken. När delföreningarna gemensamt identifierar lågvärdesvård handlar det inte om besparingar – utan om att skapa en evidensbaserad vård av god kvalitet på lika villkor. Det är ett arbete som minskar risker, ökar tryggheten för patienterna och frigör tid till det som verkligen gör skillnad.

Samtidigt fortsätter vi att stärka vår höga kompetens och lärande genom hela yrket. Årets Ortopedexamen visade återigen på den bredd och kunskap som präglar svensk ortopedi, och mötet mellan studierektorer betonade vikten av kommunikation och samarbete som en central del av utbildningen.

Det finns mycket att vara stolt över. Trots ekonomiska utmaningar och ökande krav står svensk ortopedi stark – just för att vi håller fast vid vår gemensamma kärna: kunskap, kvalitet och kollegialitet, byggd på forskning, erfarenhet och respekt för patienten.

Nästa års tema, Forskning – Utbildning – Samverkan, kommer att föra oss vidare. Men låt oss bära med oss årets lärdom: att de klokaste valen sällan handlar om att göra mer, utan om att tillsammans göra rätt – med evidens, omtanke och ansvar.

Maziar Mohaddes ordförande Svensk Ortopedisk Förening

Maziar Mohaddes
SOF:s syurelse och kansli 2026. Från vänster: Olof Sköldenberg, Christian Carrwik, Arvid von Konow, Kajsa Thulin, Claes Edin, Anna Apelqvist, Louise Théen, Maziar Mohaddes och Lena Göthe.

55 16 10 28

Innehåll nr.3

4 Ledare

6-46 Ortopediveckan i Jönköping 2025

6 Inledning Ortopediveckan 2025

8 Inspirationsföreläsning

9 Ortopedmilen

10 Årets tema: Det kloka valet

12 Delföreningarnas kloka kliniska val

14 What’s up hos delföreningarna

16 Ortopedexamen 2025

19 Bästa fria föredrag

20 Bästa poster

21 Bästa student- och ST-arbete

22 OSTRIX-mötet

23 Verksamhetschefs- och professorsmötet

24 Samarbete mellan privat och offentlig vård

26 Välj ditt snitt och därmed dina komplikationer

28 Kloka blodtransfusioner

30 Epiphysen: Amputationer av nedre extremiteten

32 Epiphysen: Ortoplastik

34 Mat som del av sårbehandlingen

35 SOTS: Frakturer runt armbågen

36 SRKF: Den degenerativa halsryggen

38 SSAS: Behandling av axelfrakturer

40 SBOF: Reposition, gipsning och operation av barnfrakturer

42 Sexuell hälsa vid ortopedisk sjukdom

43 Alternativ till våld

44 SOF:s årsmöte

46 Ortopediveckans bankett

48 SPUR-inspektioner 2024

50 SOIF-nytt

IPSO världskongress i Sverige

54 Professorsnätverket Nya krav i grundutbildningen

55 Reseberättelse

FORTE Summer School i Split

56 Fortbildning av specialistläkare Västra Götalandsregionen berättar om sitt arbete

58 Pompes hörna

Kloka val för framtidens vård

När ortopeder från hela landet samlades i Jönköping för Ortopediveckan 2025 på Elmia sista veckan i augusti, var det med en tydlig tanke: vårdens framtid formas inte av fler åtgärder, utan av klokare val. Årets tema Det kloka valet blev en inbjudan till eftertanke – om resurser, samarbete och vad som egentligen är bäst för patienten.

Birgitta Ekstrand Lagerqvist, ortoped och chefläkare i Region Jönköping län och mötesgeneral för årets Ortopedivecka, öppnade konferensen med att hälsa välkommen till ett nytt och mer koncentrerat format. De tre ortopedklinikerna bakom arrangemanget – Eksjö, Jönköping och Värnamo – har arbetat nära varandra för att skapa en vecka med utrymme för reflektion och utveckling.

"Vi ville göra det möjligt för fler att delta, men också skapa mer tid för samtal och eftertanke. SOF:s styrelse hade i år valt bort den traditionella industriutställningen och kortat veckan med en dag", berättade Birgitta.

Jane Ydman, regiondirektör i Region Jönköpings län, talade om vikten av klok hushållning i en tid där resurserna är begränsade men behoven stora.

"Det handlar inte om att göra mer, utan om att göra rätt. Kloka val innebär att använda tid, kompetens och patienternas förtroende på bästa sätt – inte bara att hushålla med pengar", sa hon.

Hon berättade också hur regionen möter alla verksamheter två gånger om året genom medicinska programgrupper, där dialogen kring utveckling och kvalitet står i centrum.

Mats Bojestig, hälso- och sjukvårdsdirektör i Region Jönköpings län, knöt an till samma tema och talade om kraften i samarbete och förbättringsvilja.

"När vi möter sjukvårdsministern skickar vi fram er. Ni gör skillnad varje dag. Låt alltid frågan vara: Vad är bäst för Ester?"

Ester vem? Birgitta Ekstrand Lagerqvist berättade om Ester – den fiktiva patient som blivit symbol för Region Jönköpings arbete med personcentrerad vård. Genom utbildningsprogrammet ”Ester – tillsammans för patientens bästa” möts medarbetare från olika verksamheter för att se hela vårdresan genom hennes ögon – och utveckla vården utifrån patientens perspektiv.

Invigningen avslutades med musikgruppen Trapptoner, som föddes i en trappa på Ryhovs sjukhus under pandemin. Gruppen består av sjuksköterskan Matilda Bräck och läkarna Jan Thollander och Sven Lagerberg, som med sina tolkningar av bland andra Afzelius, Uno Svenningsson och ABBA visade att musik kan bygga broar även i vården.

Trapptoner har sedan dess uppträtt i tv-soffor, samarbetat med Min Stora Dag och medverkat i Musikhjälpen – alltid med samma budskap: gemenskap och medmänsklighet gör skillnad.

INVIGNING

Musikgruppen Trapptoner underhöll under invigningen – bland annat med ett strålande medley med musik av kända svenska artister, med rötter i Jönköpingstrakten.

Mats Bojestig, Hälso- och sjukvårdsdirektör i Region Jönköpings län.

Birgitta Ekstrand Lagerqvist, Ortopediveckans mötesgeneral.

Jane Ydman, Regiondirektör i Region Jönköpings län.

”Då kommer glädjen galopperande”

Ortopediveckan 2025 inleddes med en föreläsning som fick hela salen att både skratta och tänka till. På scenen stod Tomas Eriksson, ingenjören som blev inspiratör – en man som gjort det till sin mission att tala om det vi alla behöver mer av: arbetsglädje.

Med energi, humor och en rejäl dos igenkänning pratade han om hur glädje på jobbet inte är någon lyx eller bonus, utan en avgörande del av både prestation och välmående. ”Arbetsglädje är ett fantastiskt svenskt ord som vi borde exportera”, menade han.

Tomas Eriksson beskrev hur arbetsglädje inte bara får oss att trivas, utan också leder till att vi får mer gjort, samarbetar smidigare, stressar mindre, blir mer kreativa och mindre lättkränkta. Det handlar inte om ytliga floskler – utan om något djupt mänskligt: känslan av mening, samhörighet och nyfikenhet.

”För mig är arbetsglädje som en mobil – inte telefonen –utan den där som hänger och balanserar i luften. När man drar i en tråd, börjar allt annat röra sig: kommunikation, kreativitet, lust och engagemang.”

Tomas delade med sig av tre centrala byggstenar: samarbete, att få göra skillnad och att få skratta. Och han påminde publiken om vikten av att lägga märke till det som faktiskt fungerar, snarare än att fastna i det som inte gör det.

För att illustrera detta bad han läkarstudenten Udai komma upp på scenen. De spelade upp ett vardagligt möte i sjukhuskorridoren. Den ena personen vill säga något uppskattande, men tvekar. Ska jag våga? Är det rätt tillfälle? ”Men om jag ändå säger det”, sa Tomas, ”att det du sa till mig min första dag på nya jobbet betydde mycket för mig – då händer något. Den känslan, att våga uttrycka det, och att bli mottagen, den värmer länge.”

Läkarstudenten Udai ställde upp för att illustrera det vardagliga och viktiga mötet.

Tomas talade också om hur svårt många har att ta emot uppskattning. När någon säger ”bra jobbat” och vi svarar ”äh, det var väl inget”, blir det som en liten avvisning. I stället, menade han, borde vi vara antijante: säga tack, le och kanske till och med fråga vad som var särskilt bra. ”Bli bra på att säga tack – det är gratis och stärker både dig och andra.”

Han återkom gång på gång till vikten av att njuta av nuet. Att ibland stanna upp, bara i fem sekunder eller en minut, och faktiskt känna: här är jag, det här gör jag. ”Vi är så engagerade att vi glömmer att tillåta oss själva att stanna upp och känna glädje.”

Samtidigt varnade han för att låta ditt ”kon-troll” – vår inre väktare – styra för mycket. ”Kon-trollet vill skydda oss, men det hindrar oss också från att våga, leka och utvecklas. Våga kliva utanför komfortzonen. Det är där arbetsglädjen bor.”

När publiken skrattade åt hans exempel log Tomas brett: ”Ser ni? Nu händer det! Blodcirkulationen ökar, blodtrycket sjunker, endorfinerna flödar. Ni känner det i kroppen.”

Föreläsningen avslutades precis som den började – med energi, skratt och värme. Tomas lämnade scenen med ett tydligt budskap: Arbetsglädje är inte något som bara händer. Det är något vi skapar tillsammans – varje dag, i varje möte, med varje leende.

Linnskog Rudh Redaktionschef Ortopediskt Magasin

Linda
Det märkliga kon-trollet tittar fram när man minst anar det.
Tomas Erikssons föreläsning gav en ordentlig energiboost.

VINNARE HERR

1. Jens Nilsson 36:24

2. Erik Jansson 36:53

3. Gustaf Tengström 38:28

VINNARE DAM

1. Lisa Clark 38:39

2. Mathilde Baekke 45:39

3. Jenny Olofsson 46:11

Start i salen, mål i minglet

Det var klokt tänkt av arrangörsgruppen när de bestämde att årets Ortopedmil skulle avgå från Rydbergssalen inne på konferensanläggningen. Hela auditoriet kunde på så vis peppa löparna med applåder och hejarop när de gav sig av.

Nytt för året var motionsklassen, som sprang halvmilen, vilket gjorde att deltagarantalet ökade betydligt. 25 personer sprang helmilen och 13 stycken deltog i motionsklassen. Målgången gick rakt in genom entrén till konferensen, där de tävlande togs emot av alla som get together-minglade.

Vinnarna i herrklassen, från vänster: Erik Jansson, Jens Nilsson och Gustaf Tengström.
Vinnarna i damklassen, från vänster: Mathilde Baekkevold, Lisa Clark, och Jenny Olofsson.
Erik Jansson "flög" in över mållinjen en halv minut efter förstapristagaren Jens Nilsson.
Löparna startade loppet inne i konferenslokalen.

Kloka kliniska val – vår

Invigningen av Ortopediveckan blev en påminnelse om att klokhet i vården inte handlar om att göra mer, utan om att göra rätt.

Att våga ifrågasätta, avstå, prioritera – och att sätta patienten först. Från Birgitta Ekstrands strategiska helhetsblick, via Patrik Skogwards etiska frågor och Niaz Harenis reflektioner om trygghet, till Caroline Skölds och Viktor Näslunds organisatoriska lösningar –alla pekade mot samma sak: att kloka kliniska val är vårdens gemensamma ansvar.

Invigningens första föreläsare, Patrik Skogward, överläkare och kardiolog inom klinisk fysiologi vid Ryhov och engagerad i Svenska Läkaresällskapet, tackade ödmjukt för inbjudan: ”En finare inbjudan än så här kan en medicinare aldrig få.” Men frågan han ställde var allvarlig: ”Har du någon gång gjort en vårdinsats – inte för att det var det bästa för patienten, utan för att det förväntades?”

Skogward berättade om patienten Anna, som söker hjälp för ryggont. Hon får MR, blodprover och remiss till ortoped. Alla prover är normala, men MR visar diskförändringar. Trots lugnande besked är hon fortsatt orolig, sover dåligt, och fastnar i en vårdspiral som varken ger lindring eller trygghet.

”Här någonstans måste vi våga stanna upp, för varje test, varje behandling vi erbjuder – eller avstår från – formar patientens upplevelse och vårdens hållbarhet”, sa han.

Patrik Skogward presenterade siffror från OECD: endast 30% av all vård kan klassas som nödvändig, medan omkring 20% av resurserna går till så kallad lågvärdevård – vård som inte hjälper, och ibland till och med skadar.

”Vi måste våga tala om detta i varje möte,” betonade han.

”Vi påverkar framtiden med varje beslut vi fattar i dag.”

Problemet, menade Skogward, är att många svenska riktlinjer utgår från en diagnos i taget. ”För patienter med flera diagnoser ger det en ofullständig bild. Då krävs läkarens omdöme och erfarenhet – inte bara checklistor.”

Han varnade för en växande övertro på provtagning och teknik, och en oroande tendens att göra naturliga livsprocesser till medicinska tillstånd: ”Klimakteriet, sorg, trötthet och åldrande är inte sjukdomar.”

Samtidigt har patienterna, menade han, fått en övertro på tester och behandlingar – och för stor tilltro till att vården alltid kan ”fixa” allt.

”Vi behöver bli bättre på att förklara, och på att stå stadigt i vår kliniska kunskap,” sa han. ”Det finns en risk att vår självtillit som läkare ersätts av teknikens trygghet.”

Skogward presenterade en modell med fyra frågor som både patienter och vårdpersonal bör ställa i varje möte:

1. Vad är det förväntade naturalförloppet?

2. Hur förhåller sig patienten till detta?

3. Hur förhåller jag mig som vårdgivare till det?

4. Är den föreslagna åtgärden verkligen till nytta för patienten?

”Evidens är viktigt, men inte allt,” sa han. ”Vårdprogram och riktlinjer är inte hela sanningen. Patienten måste komma först.”

Skogward citerade Leo Tolstoj, som en gång skrev att patienten överlevde ”trots – snarare än tack vare – läkarnas insatser”. ”Vi får aldrig glömma att god vård ibland handlar om att låta bli,” avslutade han.

Niyaz Hareni, ortoped och verksamhetschef i Halland, fortsatte på samma tema. Han beskrev hur rädslan för att missa något ofta driver fram onödig vård. ”Vi lär våra unga läkare att se varningssymtom – men vi måste också lära dem att se normalförlopp,” sa han.

Från vänster: Viktor Näslund, Caroline Sköld, Jonas Lind, Niaz Hareni och Patrik Skogward.

Leo Tolstoj menade att patienter ibland överlevde trots – snarare än tack vare –läkarnas insatser.

dens viktigaste beslut

Han uppmanade kollegor att låta ST-läkare delta aktivt i kvalitetsarbeten och reflektioner kring kloka val: ”Det är där tryggheten växer.” Eller som Harenis kollega, Peter Ebel, så klokt formulerade det: ”Man köper inte en karta till Italien om man inte ska åka dit. På samma sätt ska man inte beställa en undersökning om man inte vet vad man ska göra med svaret.”

En annan av Niyas Harenis kollegor, Carl Bergh, gjorde honom uppmärksam på förfarandet vid blodtransfusioner: ”I Sverige använder vi mycket blod – och i hälften av fallen ges det trots att evidensen saknas. Två påsar blod är inte alltid svaret.”

Niyaz Hareni menade att både utbildning och kultur måste förändras. ”Vi behöver använda våra ST-läkare bättre, låta dem driva kvalitetsprojekt och involvera patienter mer aktivt. Det skapar ansvar och förståelse.”

Jonas Lind, verksamhetschef och neurolog på medicinkliniken på Ryhovs sjukhus, tog upp hur man praktiskt kan arbeta med kloka kliniska val i vardagen. ”Det handlar om att skapa trygga medarbetare,” sa han.

Han gav konkreta exempel: ”En patient med hjärtsvikt behöver ofta uppföljning – inte fler blodprover. Och en svimning kräver sällan EEG – det skapar bara förvirring.”

Jonas Lind betonade vikten av en stödjande kultur. ”När något går fel ska vi inte söka syndabockar, utan se om det är systemet som brister. Kritik ska vara konstruktiv – och samarbete med chefläkare och ledning är avgörande.”

Avslutningsvis berättade Caroline Sköld, verksamhetschef i Uppsala, och Viktor Näslund, biträdande verksamhetschef på ortopedkliniken, om arbetet med att få en gemensam bild av vårdflöden och behov.

”Det är alltid en utmaning att balansera vårdplatser mot verkligt behov,” sa Caroline Sköld. ”Vi har besparingskrav, samtidigt som efterfrågan ökar. Varför är det alltid en mismatch mellan behov och antal vårdplatser?”

Viktor Näslund, som tidigare arbetat som vårdplatskoordinator, beskrev hur man i Uppsala har börjat analysera flödena vecka för vecka. ”Vi såg att antalet patienter är ungefär lika över året, men ojämnt fördelat. Fler i början av veckan, färre i slutet. När vi började anpassa bemanningen efter det kunde vi öppna vårdplatser när de verkligen behövdes.”

Caroline och Viktor berättade också om hur beslut om strykningar fattas: ”Vi reducerar redan i planeringen, för att slippa ställa in i sista stund,” sa Näslund. ”Det är inte roligt, men nödvändigt. Det viktiga är att kunna fördela personalen snabbt när behoven förändras.”

Han fortsatte: ”Om vi vet att en ortopedpatient är på väg in kan vi ofta öppna en extra vårdgrupp redan innan klockan tio på förmiddagen. Det kräver samordning, men det går.”

Deras resonemang illustrerade hur kloka kliniska val inte bara handlar om medicinska beslut, utan också om organisation, ledarskap och logistik.

Linda Linnskog Rudh Redaktionschef Ortopediskt Magasin

Så svarar läkarna i en enkät i den senaste Kloka kliniska val-rapporten.
Patienten Anna, i Patrik Skogwards exempel, fastnar i en vårdspiral.
Viktor Näslund och Caroline Sköld har hittat ett bra sätt att balansera vårdplatser mot behov.

Delföreningarnas kloka val

Ett av Ortopediveckans mest besökta symposier var Kloka Kliniska val med delföreningarna. SOF har startat en arbetsgrupp ledd av kvalitetsansvarig Kajsa Thulin från Eksjö. Hon har samlat alla ortopedins delföreningar och även handkirurgin för att ta fram en lista på så kallad ”lågvärdevård” eller kanske till och med ”icke-göra”. Man planerar att ha listan på Sveriges läkaresällskaps hemsida. Dialogen sker i samarbete med Nationellt Programområde (NPO). Med som moderator var också Lotta Fornander, verksamhetschef i Norrköping och representant i NPO.

Kloka kliniska val handlar inte om ekonomi utan om att helt enkelt inte göra saker som bara är onödiga eller kanske till och med direkt riskfyllda för patienter.

Kloka Kliniska Val kommer ifrån ”Choosing Wisely” som startade 2012 i USA och har sedan dess spridits till över 30 länder. Arbetet i Sverige startade 2020 efter en motion till SLS fullmäktige. Då 20% av vårdens resurser beräknas gå till spillo genom undersökningar, tester och behandlingar som inte är av värde för patienterna (lågvärdevård) är syftet att fasa ut dessa åtgärder. SOF har under året bedrivit arbete för att ta fram rekommendationer för ortopedi. Här är en sammanfattning av överenskommen ”lågvärdevård” presenterat från varje delförening.

PRIMÄRVÅRD OCH RÖNTGENUNDERSÖKNINGAR

Inom primärvården rekommenderas att röntgenundersökningar före grundbehandling vid höft- och knäartros bör fasas ut. För radiusfrakturer bör odislocerade frakturer inte röntgenkontrolleras, och veckokontroller av uppenbart instabila frakturer där snabbspår i vårdprogrammet rekommenderar operation bör undvikas. Vid höftfrakturer bör preoperativ dusch undvikas, förutom när hygienen är eftersatt, och överdriven frakturbehandling med total höftartroplastik (THA) bör undvikas när hemi är likvärdigt för majoriteten.

Karin Bernhoff

Huvudredaktör

Ortopediskt Magasin

Kloka Kliniska Val Ortopedi

Från vänster: Mattias Andersson, Truike Thien, Viktor Lindgren, Johan Wänman, Erica Domeij Arverud, Kajsa Thulin, Lotta Fornander och Jenny Saving.

SBOF (SVENSK BARNORTOPEDISK FÖRENING)

Mattias Andersson

1. Undvik röntgenuppföljning av förlossningsorsakad fraktur på nyckelben eller överarm.

2. Undvik röntgenuppföljning av infraktionsfrakturer.

3. Undvik att ordinera skoinlägg hos barn med smärtfri plattfothet.

4. Undvik ultraljudsundersökning av höftled hos nyfödda barn utan riskfaktorer eller klinisk höftinstabilitet.

5. Undvik röntgenutredning och kirurgi vid infothet hos friska barn.

SVENSKA HÖFT- OCH KNÄ FÖRENINGEN

Jenny Saving

1. Robotassisterad höft- och knäproteskirurgi bör endast användas inom ramen för forskning tills vidare.

2. Korttidsvård bör eftersträvas vid elektiv höft- och knäproteskirurgi, och ett opioidsparande förhållningssätt bör tillämpas.

3. Multimodal smärtterapi med Alvedon och NSAID samt endast kortverkande opioid vid behov rekommenderas, och långverkande opioider bör undvikas helt om möjligt.

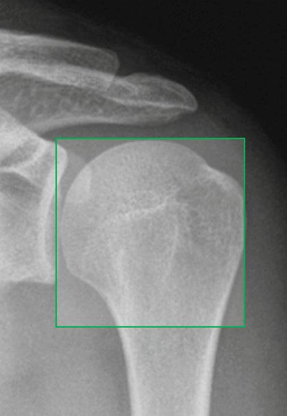
SOTS (SVENSKA ORTOPEDTRAUMATOLOGISKA SÄLLSKAPET)

Viktor Lindgren

1. Proximal hamstringsruptur ska inte opereras rutinmässigt, något som Elsa Phils avhandling just visat.

2. Fotledsfraktur med isolerad lateral malleolfraktur (Weber B) ska inte rutinmässigt opereras utan utredas med belastad röntgenundersökning för att avgöra instabilitet.

3. Vid olekranonfraktur hos äldre med låga funktionskrav bör icke-operativ behandling övervägas då resultaten efter ett år är likvärdiga med osteosyntes, medan komplikationsrisken är stor vid kirurgi.

4. Undvik rutinmässig osteosyntes vid dislocerad klavikelfraktur och om tidigt återbesök planeras för diskussion kring eventuell kirurgi så kan man avstå från röntgenkontrollen.

SVENSKA FOT- OCH

ANKELKIRURGISKA SÄLLSKAPET, SFAS

SFAS bedriver ett intensivt kvalitetsarbete. Just nu pågår arbete med Nationella Kliniska Kunskapsstöd (NKK) för specialiserad vård och de första diagnoserna finns att se på 1177 för vårdgivare. Detta är en digital fortsättning på tidigare publicerade Nationella rekommendationer och kommer att omfatta i princip alla elektiva diagnoser inom foten. Arbetet omfattar både rekommenderad utredning och behandling. Åtgärder som inte finns med i NKK kan betraktas som lågvärdesvård. Framöver kan även en lista med exempel på så kallad ”lågvärdevård” presenteras i kommande nummer av Ortopediskt Magasin.

SSAS (SVENSKA SKULDER OCH ARMBÅGS SÄLLSKAPET)

Erica Domeij Arverud

1. Undvik att behandla subakromiell smärta med kirurgi.

2. MR axel/armbåge är en undersökning som beställs från specialistklinik.

3. Förstahandsbehandling vid lateral epikondylit ska vara excentrisk träning. PRP och erytrocyter har ingen plats i offentlig vård i förhållande till evidensläget.

SAF (SVENSK ARTROSKOPISK FÖRENING)

Truike Thien

1. Artroskopi är inte första behandlingsalternativet vid degenerativ meniskskada eftersom partiell meniskresektion kan öka risken för artrosutveckling.

2. Utredning med magnetkameraundersökning (MR) hos patienter över 35 år med knäsmärtor utan trauma rekommenderas inte i primärvården eller vid första besöket hos en ortopedspecialist.

3. Vid bestående knäsmärtor utan trauma kan skelettröntgenundersökning med knäbelastning övervägas för att se om det finns tecken på degenerativa förändringar eller artros.

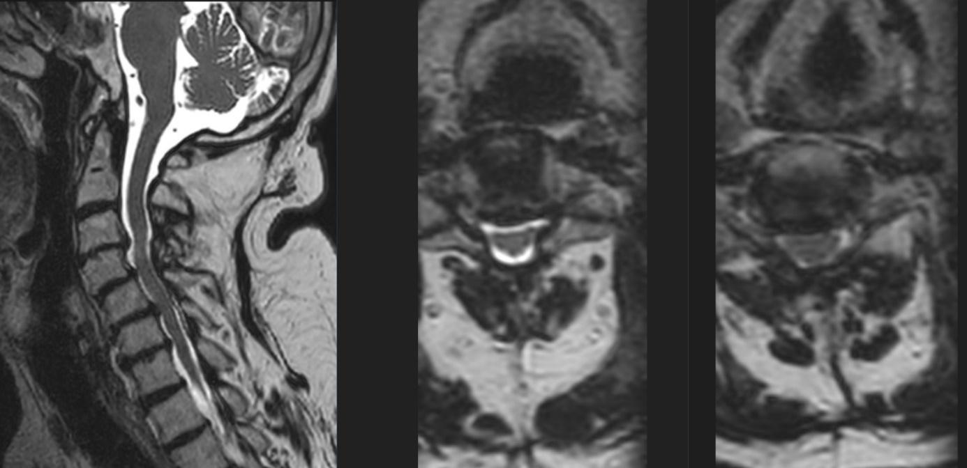
SRF (SVENSK RYGGKIRURGISK FÖRENING)

Johan Wänman

1. Vid lumbal spinal stenos rekommenderas enbart dekompression utan fusion, eftersom det ger lika bra symtomlindring som med fusion men med mindre risker och bättre kostnadseffektivitet.

2. Antibiotika bör undvikas vid kronisk ländryggsmärta med Modic-förändringar utan tecken på infektion. Forskning har visat att antibiotikabehandling inte ger någon kliniskt relevant skillnad jämfört med placebo.

3. Primärt konservativ behandling rekommenderas vid burstfrakturer (A3/A4) thorakolumbalt med normal neurologi. Argumenten för och emot operation bör noggrant övervägas, och beslutet bör baseras på patientens individuella behov och förutsättningar.

DELFÖRENINGARNA

What´s Up?

Succé – igen! Delföreningarnas presentationer om vad som är nytt och hett (eller kanske borde vara hett) inom varje område var återigen en populär programpunkt. Här är en ännu mer kondenserad sammanfattning för er som missade torsdagsförmiddagen under Ortopediveckan i Jönköping.

SBOF – Icke-kirurgisk behandling av barnfrakturer

SRF – Endoskopisk ryggkirurgi

SOTS – Geriatriska bäckenfrakturer

SFAS – Framtidens behandling av avancerad fotledsartros

Ortopedexamen 2025

2025 års examinander i Ortopedexamen.

Ortopedexamen blir mer och mer populär. För varje år väljer fler och fler nyblivna specialister att genomgå denna eklut. Blir våra yngre kolleger modigare eller börjar det bli ett mer självklart kunskapstest efter genomgången ST-utbildning? Hur det än ligger till så var årets ortopedexamen den största någonsin. Hela 41 examinander genomförde det praktiska provet på sjukhuset Ryhov i Jönköping.

Att examinera så många på en gång kräver sin logistik. Det behövs dessutom lokaler och examinatorer i stor mängd.

Christian Carrwik hade tillsammans med de lokala medarbetarna gjort ett smidigt schema som utan hack i skivan genomförde tre examinationspass uppdelade på tre stationer vilket gjorde att både lokaler och examinatorer räckte till.

Examinatorerna träffades redan 07.30 för att bland annat göra en sista kontroll av eventuella jävssituationer. Eftersom folk rör på sig, byter arbetsplatser och ibland bedriver forskning ihop så blev det en del rockader innan hela examinationsschemat var godkänt.

Små personliga pappersremsor med individuella instruktioner till både examinander och examinatorer delades ut. På vissa av dessa fanns noteringen ”EKG”. I examinatörs-gruppen rådde viss orolig tystnad ända tills Christian Carrwik vid genomgången förklarade

att ”EKG” hette det rum där stationen skulle genomföras. En kollektiv suck av lättnad kunde höras i lokalen.

Nytt för året var en pappersfolder med hålltider för examinationspass och pauser. Mycket användbart.

Själva examen bestod av två riktiga patientkonsultationer med vanligt förekommande ortopediska diagnoser. De två praktiska momenten innebar att genomföra ett knästatus tio dagar efter en knädistorsion. I den andra praktiska övningen skulle det anbringas ett gips för behandling av odislocerad metacarpale-V-fraktur. Även om vissa nya rön indikerar att gipsbehandling inte behövs så fanns här ingen chans att komma undan det praktiska momentet. Knästatus är inga konstigheter för dagens nya specialister och alla möjliga menisk och korsbandstester utfördes utan tvekan. Markören undersöktes utan benklädnad i gående och stående med inspektion, palpation och specifika tester.

Dock visade sig gipsningen vara ett svårare moment. Att anbringa ett så kallat kobragips eller ett ”korv med bröd”-gips var för många svårt. Vissa fick godkänt med krav på komplettering genom att tillbringa en dag på gipssalen med en gipstekniker.

Ortopedexamen har gjort nytta genom åren inte bara för enskild kunskapskontroll utan även som en indikator på vad som behöver förbättras i ST-utbildningen. För tio år sedan visade det sig att många nya specialister hade bristande övning i att genomföra ett vettigt status. Åtgärder vidtogs och nu briljerar den yngre ortopedkåren i status-genomförande. Skönt!

Nästa område att jobba med blir nog gipskunskaperna ...

Ortopedexamen är inte bara intressant för vår egen specialitet utan har väckt nyfikenhet i vår systerförening Svensk Kirurgisk Förening (SKF). Denna examinationsdag gästades vi av två

Nina, gipstekniker på Ryhovs ortopedmottagning, agerade markör.

I huvudet på en nybliven examinator

– premiärnerver, tradition och glädje

Minnet från när jag själv var examinand på praktiska ortopedexamen i Karlstad 2018 är levande. Nervositeten innan, fokuset på uppgifterna och triumfen efteråt.

allmänkirurger från SKFs styrelse som planerar att starta en liknande praktisk examination för kirurgkolleger. Det är roligt att få dela med sig!

Endast två examinander får möjligheten att återkomma nästa år för ny examen och sex deltagare blev godkända med krav på komplettering. Samtliga deltagare hälsades välkomna till examensmiddagen på Verket mitt i Jönköping centrum. Efter fördrink och foto serverades en fantastisk trerättersmiddag och om de unga specialisterna inte slutat fira så firar de än i denna stund.

Insatsen av samtliga inblandade i examen hyllas!

Bernhoff

Huvudredaktör

Ortopediskt Magasin

Särskilt minns jag respekten jag kände för examinatorerna som med sin stora kunskap och erfarenhet skulle fälla dom över oss examinander. Några år har gått sedan dess och jag har som kliniker och frakturkirurg blivit mer erfaren och trygg. När inbjudan att få delta som ny examinator på praktiska Ortopedexamen i Jönköping kom i våras blev jag hedrad - men också lite nervös. Är jag tillräckligt kunnig och erfaren för att platsa på andra sidan?

Nyfikenheten och stoltheten över att få vara en del av denna viktiga tradition övervann mina självtvivel och jag tackade ja. Det är jag glad för! Det var roligt och lärorikt, men kändes framför allt meningsfullt att få bidra till denna för svensk ortopedi centrala kontrollfunktion av kunskapsnivån bland nyblivna specialister.

Jag hade äran att få göra min examinatorsdebut tillsammans med Karin Bernhoff, som med sin stora erfarenhet och kunskap lotsade mig igenom dagen. Det blev en mycket trevlig premiär och jag fick en god förståelse för vad som ingår i en examinators uppgift. Inte minst att skapa en lugn och positiv stämning för examinanderna, som trots viss nervositet imponerade med sina ortopediska kunskaper och färdigheter.

Slutligen gav dagen mig en inblick i det omfattande organisatoriska förarbetet, som tillsammans med dedikationen hos alla tillresta examinatorer möjliggör att ortopedexamen kan genomföras år efter år. Jag är stolt över att ha varit en liten kugge i detta stora maskineri, och ser med glädje fram emot nästa år!

Christian Carrwik, är som SOF:s utbildningsansvarig också ansvarig för Ortopedexamen.
Några av Johanna Rundgrens kollegor i examinatorgruppen: Eva Lundqvist, Karin Erkers, Cecilia Navarro, Erica Arverud och Ylva Bodén.

"Eh, jag gipsar här ja"

Jag står utanför undersökningsrummet på ortopedmottagningen i Jönköping och försöker andas lugnt. Hjärtat bultar, händerna är fuktiga. Vi är flera som väntar, ortopeder från hela Sverige, uppställda som inför en osynlig startlinje. Jag möter blicken hos en kollega, hon ler mot mig. ”Det är ju bara att göra som vanligt”, säger hon. Jag nickar tillbaka, men inom mig ekar en annan röst: ”Jag har ju varit föräldraledig, jag minns knappt hur man gör i vanliga fall.” Men jag ler tillbaka, som om jag tror på det hon säger, som om jag är lugn. Bara jag kommer ihåg att sprita händerna …

Så tjuter visselpipan. Äntligen. Väntan är över, nu finns ingen återvändo.

När jag blev färdig specialist 2022 tänkte jag direkt att jag ville göra Ortopedexamen. Det kändes självklart. Men sedan kom livet emellan – barn, föräldraledighet, vardag. Tiden rann iväg. I år växte känslan: ju mer man fördjupar sig i sitt eget hörn av ortopedin, desto svårare blir det att hålla fast vid bredden. Det var dags nu.

Att börja plugga inför en tenta är alltid motigt. Men när man väl kommer igång händer något: ju mer man kan, desto roligare blir det att kunna ännu mer. Svårigheten är tiden. Jag försökte därför väva in studierna i vardagen. Bytte ut en podd mot Ortopodden, övade status med en vän istället för att bara ta en kaffe. En fredagkväll bad jag att få undersöka min mans fot. Han hällde upp ett glas vin och slog sig ner i soffan, som inför en spännande film, medan jag kröp runt på golvet. Till bådas stora förvåning upptäckte jag att han hade lite domningar över tarsaltunneln. ”Det här är ett ganska ovanligt fynd!” utbrast jag och han sa att han kände sig speciell. Så småningom kunde jag ändå en hel del mer än när jag först anmälde mig.

Ändå tvivlar man när det väl gäller. Jag hade klarat den skriftliga tentan, läst, övat, sovit ostört på hotell och fått ett fantastiskt bemötande av personalen i Jönköping som guidat oss rätt. Jag borde känna mig lugn, men ljudet av visselpipan stressar mig mer än ambulanssirenerna på akuten någonsin gjort.

Första stationen. Att lägga ett gips på en metacarpale-V-fraktur. ”Nu måste jag ta det lugnt”, tänker jag. Jag har aldrig lagt just det gipset, men jag kan ju gipsa. Jag vet hur det ska se ut. Strumpa på – eller? Plötsligt känns det

som om jag klippt bort halva strumpan. Två fingrar fria. Jag lindar. Förbereder gipset. Men nej, fingrarna ska ju också lindas! Jag råkar linda in fyra och inte tre. Varför blir allt så rörigt? Varför är jag så nervös?

”Berätta vad du gör!” påminner examinatorerna.

”Eh, jag gipsar här ja …” hör jag mig själv säga. Något känns märkligt. Vad är det som klibbar? Gipset fastnar på naglarna. Jag har inga handskar! Jag harklar mig, säger det högt: ”jag står här och tänker att jag brukar ha handskar.” Till slut sitter gipset ändå på plats. Jag frågar patienten om det känns bra, om något skaver, ger gipsinformation. När jag nästan på automatik rabblar upp allt man ska tänka på när man är gipsad så infinner sig sakta känslan: nu liknar det vardag, nu känns det på riktigt.

Nästa station. En kvinna med höftartros. Jag märker hur axlarna sjunker. Hon är vänlig, ställer frågor jag kan svara på. Hon har tydliga fynd vid undersökningen. Det blir ett riktigt samtal. Jag inser att det är det här som bär mig – mötet, kommunikationen, hur roligt det är att faktiskt kunna hjälpa. Jag är ju ortoped! Jag vet vad jag gör. Och nu tror jag faktiskt att det märks.

Sista stationen. En man med knäproblem. Historien är brokig: gamla operationer, nya smärtor, värk som flyttar sig. Han berättar om ett knäskydd som hans fru köpt på Ullared. Vi skrattar tillsammans. Examinatorerna skrattar också. Plötsligt är vi i ett vanligt mottagningsrum. Ingen tenta, ingen uppvisning. Bara jag och en patient, precis som varje dag.

När jag går därifrån är jag utmattad, men också lättad. Examen blev inte som jag hade föreställt mig, men kanske var det just det som var poängen.

Den påminde mig om varför jag valde yrket från början. Att det inte handlar om att minnas varje detalj i rätt ordning, eller att alltid vara perfekt. Utan om att använda sin kunskap i mötet med människor.

Och kanske är det just det Ortopedexamen prövar allra mest: inte bara vad vi kan, utan hur vi lyckas använda vår kunskap när det verkligen gäller.

Linnea Arvidsson Specialistläkare i ortopedi SUS, Malmö
Linnea Arvidsson, Gustav Sidemo, Anette Jönsson och Alicia Avdic är alla specialistläkare i ortopedi på SUS och gjorde Ortopedexamen i år.
LInnea gipsar. Illustration: LInnea Arvidsson.

Prisade insatser

Som vanligt korades Bästa poster och Bästa fria föredrag på Ortopediveckan.

Redan första dagen ägde posterssessionen rum där alla presentatörer fick en minut att presentera sin poster muntligen inför auditoriet i stora salen. Om man inte höll tiden var SOF:s vetenskaplige sekreterare Olof Sköldenberg där med en tuta och överöstade talaren. Men han behövde bara använda den ett fåtal gånger då deltagarna höll tiden föredömligt.

Därefter var det dags att beskåda alla postrar över ett glas bubbel. Var och en fick avlägga en röst. Viktor Mili-Schmidt, Danderyds sjukhus, avgick med segern med sitt arbete Patient-Reported Outcomes Following Patella Fractures: A Nationwide Observational Study of 8,726 Patients from the Swedish Fracture Register. Totalt fajtades 19 stycken posterförfattare inom vitt skilda ämnen om utmärkelsen Bästa poster på Ortopediveckan.

För Bästa föredrag valdes de fem bästa abstracten, av totalt 54, ut av den vetenskapliga kommittén. På plats röstade sedan auditoriet fram det bästa föredraget. Priset tilldelades Cecilia Stalberg Ostwald för den bästa presentationen Förkortning av ett metakarpalben verkar inte påverka handfunktionen – en sekundär utfallsanalys från en RCT.

Björn Alkner Överläkare i ortopedi Höglandssjukhuset, Eksjö

SOF:s vetenskaplige sekreterare Olof Sköldenberg med sin tuta och Björn Alkner, lokalt ansvarig för det vetenskapliga programmet under Ortopediveckan.

Bästa fria föredrag

Övriga utvalda deltagare som tävlade om priset för bästa föredrag var:

Jakob Hermodsson. Total knee arthroplasty inserted with patient specific instruments shows no benefit over conventional instruments: a randomized controlled trial. Anders Persson. Korrelationen mellan bakteriemängd i operationssalsluft och sårinfektioner efter ortopedisk kirurgi; en registerbaserad kohort-studie.

Jenny Sivertsson. Erfarenheter av fysioterapeutledd digital träning vid långvarig ländryggssmärta – en intervjustudie.

Lisa Johansson. Vertebral fractures identified on lateral DXA images using deep neural networks predict incident fractures in older women.

Förkortning av ett metakarpalben verkar inte påverka handfunktionen

En sekundär utfallsanalys från en RCT

Författare Cecilia Stalberg Ostwald 1,2,3, Fredrik Peyronson 2,4, Nils Hailer 2,4, Daniel Muder 1,2,3 1 Ortopediska kliniken Falun, 2 Institutionen för kirurgiska vetenskaper Uppsala Universitet , 3 Centrum för Klinisk Forskning Dalarna (CKF), 4 Ortopediska och handkirurgiska kliniken Uppsala Universitetssjukhus

Dislocerade spiral-/snedgående metakarpalbensfrakturer kan behandlas med fri mobilisering och tidig rörelseträning. Förkortning av metakarpalbenet verkar dock vara ofrånkomligt. Farhågor kring att förkortning ska leda till muskel- och senobalans med försämrad greppstyrka och sträckdefekt är djupt rotade baserat på resultat från kadaverstudier. Kliniska empiriska bevis saknas dock.

Denna sekundära utfallsanalys baseras på en längre uppföljning (medel 4,5 år) av 33 patienter från författarnas tidigare randomiserade kontrollerade studie. Originalstudien och denna uppföljning är registrerade på ClinicalTrials.gov. I denna studie togs bilaterala handröntgenbilder och förkortning av metakarpalbenet bestämdes genom jämförelse med det icke-skadade kontralaterala metakarpalbenet på andra handen. Det primära utfallsmåttet var

korrelationen mellan förkortning och greppstyrka. De sekundära utfallsmåtten var förkortning relaterat till DASHscore och sträckdefekt. Intra- och interrater-reliabiliteten för mätmetoden “shortening absolute” analyserades och presenterades med interklasskorrelationskoefficienter.

Resultat: 17 patienter som tidigare behandlats icke-operativt med fri mobilisering och 16 som opererats inkluderas i denna studie. Medelförkortningen var 3,9 mm (SD 1,8) respektive 0,9 mm (SD 2,2) för de två grupperna. Medelförkortningen för hela gruppen var 2,4 mm (SD 2,5). Ingen statistiskt signifikant korrelation observerades mellan graden av förkortning och uppmätt greppstyrka i den skadade handen jämfört med den icke-skadade handen (R² = 0,0159). Dessutom påvisades inga associationer mellan förkortning och DASH-score eller sträckdefekt.

Konklusion: Förkortning upp till 7 mm verkar inte påverka greppstyrka, DASH-score eller förekomst av sträckdefekt.

Cecilia Stalberg Ostwald.

Patient-Reported Outcomes Following Patella Fractures

A Nationwide Observational Study of 8 726 Patients from the Swedish Fracture Register

Författare: Viktor Mili-Schmidt, Emilia Möller Rydberg, Matthias Krauss, Olof Wolf –Danderyds sjukhus

Viktor Mili-Schmidt blev både överraskad och glad när hans poster utsågs till Ortopediveckans bästa och när han dessutom fick SOF:s forskningsstipendium.

Han sammanfattade framgångarna med orden: "Eftersom jag inte har andra forskningsmedel just nu var det fantastiskt att få ett forskningsstipendium, helt rätt timeing! Ett stort tack till Olof Wolf som är drivande i allt som rör frakturregistret och Olof Sköldenberg som skapat en underbar forskningsmiljö på Danderyd."

Förbättras patienter som förväntar sig att bli återställda i större utsträckning?

Dessa patienter blev inte alls återställda

Alla patienter ≥18 år vid skada registrerad i Svenska frakturregistret 2011 - 2023

Primärt utfall var Short Musculoskeletal Function Assessment (SMFA), och vi fokuserade på besvärs- och mobilitets-indexen.

Data samlades in via recall (före skada) och genom enkäter 1 år efter skada.

Patienternas förväntningar och återhämtningsstatus utvärderades också.

Utfall Helt återställd Till största del Delvis återställd Till viss del Inte alls återställd

Ja,helt Tillstörstadel Delvis Tillvissdel Nej,intealls

Dessa patienter förväntar sig att inte alls bli återställda

Resultat

Population 8,726

Komplett 1-års uppföljning 27% (n=2,339)

Försämring av besvärsindex 9.1 (95% CI 8.4–9.8)

Försämring av mobilitetsindex 12.2 (95% CI 11.4–13.0)

Regressionsanalys visade:

- Bättre resultat för män och äldre

- Sämre resultat för frakturer som var öppna, bilaterala, flera simultana eller C3.

- Sämre resultat för de som var kirurgiskt behandlade (förutom de som fått platta och skruvar!)

Komplett återhämtning var mycket troligare för patienter som förväntade sig det. Se grön bild ovan!

Viktor Mili-Schmidt tar emot utmärkelsen

Bästa poster av SOF:s vetenskaplige sekreterare Olof Sköldenberg.

Ortopediveckan lyfter framtidens forskare och kliniker

I syfte att stimulera studenter och STläkare att presentera sina vetenskapliga arbeten anordnades i år separata sessioner för dessa grupper. Till slut blev det sex studentarbeten och fyra ST-arbeten som presenterades. I slutet av respektive session röstades bästa arbete fram av auditoriet.

Under studentsessionen var det sex presentationer av mycket bra kvalitet inom olika områden av ortopedin. Vi fick höra om återhämtning efter proteskirurgi, hur muskelaktivering vid hopp förändrades efter hälseneruptur, uppkomst av resistenta bakterier vid ledprotesinfektioner, effekten av fasciotomi vid akut kompartmentsyndrom och primärvårdsfysioterapeuters upplevelser kring samverkan med ortopeder. Således ett brett spektrum av ämnen som studenterna presenterade med den ären.

Vinnare av omröstningen blev Ebrahim Oro som hade gjort en långtidsuppföljning av ocementerad BiMetric-stam vid total höftplastik. Tack vare en fin presentation med intressanta data och bra svar på frågorna vann han auditoriets gillande. Grattis Ebrahim!

VINNARE BÄSTA STUDENTARBETE

Ebrahim Oro

Långtidsuppföljning av ocementerad Bi-Metricstam vid total höftplastik: 30 års resultat avseende aseptisk lossning och komplikationer.

ÖVRIGA PRESENTATIONER

Erik Noppa

Bättre tidig återhämtning efter höft- och knäprotesoperationer med TCIe och SmartPilot View.

Guðni Rafn Harðarson

Differentierade bidrag från underbensmuskulaturens aktivering till plantarflexorfunktionen vid enbenshoppning ett år efter akillessenruptur: En förskjutning från monoartikulärt till biartikulärt muskelarbete.

Ronja Hugg

Uppkomst av stafylokocker med nedsatt känslighet för dalbavancin efter långtidsbehandling av ledprotesinfektioner med dalbavancin.

Theo Thelin

Effekten av fasciotomi på kliniska utfall vid tibiafraktur med akut kompartmentsyndrom: En retrospektiv registerstudie.

Sandra Wendt

Magisterarbete: Primärvårdsfysioterapeuters upplevelser kring samverkan och omhändertagande av patienter som behandlats operativt inom ortopedisk specialistvård. En kvalitativ studie.

På ST-arbetssessionen blev det till slut fyra bidrag som presenterades. Bland annat redogjordes för utfallet efter operation med enbart cerklage på patellafrakturer och diagnostik vid höftfyseolys. Två bidrag fick exakt lika många poäng i omröstningen och delade därmed på segern. Det var Olivia Löfgren, som hade studerat ortosbehandling vid fotledsfrakturer jämfört med gips och Martin Nedergaard-Hansen, som hade studerat upprepad spolning och debridering vid höftprotesinfektioner. Vi får gratulera er båda till fina prestationer.

VINNARE BÄSTA ST-ARBETE

Olivia Löfgren

Ortosbehandling vid fotledsfrakturer – Är det mer komplikationer än vid gips?

Martin Nedergaard-Hansen

Planerad upprepad spolning och debridering vid behandling av höftprotesinfektion – en möjlig väg till bättre resultat?

ÖVRIGA PRESENTATIONER

Zaid Mousa

Utfall efter fixation med cerklage av frakturer på knäskålen.

Jonas Arntsberg

Utvärdering av Region Jönköpings Läns hälsooch sjukvårdssystems förmåga att tidigt diagnosticera höftfyseolys.

Björn Alkner
Ebrahim Oro.
Martin Nedergaard-Hansen och Olivia Löfgren.

OSTRIX-MÖTET

Stärkt utbildning & nätverk

De ortopediska studierektorerna möttes under två halvdagar på Ortopediveckan för att diskutera centrala frågor inom utbildning och kvalitetssäkring. Fokus låg på hur ledarskaps- och kommunikationskompetens kan värderas i ST-utbildningen samt på formaliseringen av nätverkets styrelse.

MÅNDAG: LEDARSKAP OCH KOMMUNIKATIV KOMPETENS I SPUR-GRANSKNINGEN

En central fråga under mötet var hur vi kan arbeta med och utvärdera den del av SPUR-granskningen som rör ledarskapskompetens och kommunikativ kompetens. Detta är kompetenser som för en färdig specialist är avgörande, men som samtidigt kan vara svåra att konkretisera och följa upp i praktiken.

För att skapa struktur valde vi att dela in diskussionen i fyra områden: ledarskap, undervisning, handledning och kommunikation. Därefter identifierades situationer där dessa kompetenser används och kan utvärderas och diskussion fördes kring om ytterligare insatser krävs för genomförande.

Ledarskap: Vi identifierade flera arenor där ST-läkare naturligt får pröva sin förmåga att leda – på rond, akutmottagning, operation, mottagning, vid olika möten och i samband med förbättringsarbeten. En viktig slutsats var att det lokalt kan vara värdefullt att genomföra en brainstorming kring vad som definierar gott ledarskap i just den egna verksamheten. På så sätt kan man både skapa en gemensam bild och underlätta strukturerad återkoppling.

Undervisning: När det gäller undervisningskompetens konstaterade vi att det ofta är enklare att identifiera tillfällen där denna kan bedömas. Exempel är tillfällen där undervisning sker är kurser och möten, case-genomgångar samt undervisning för AT-läkare. Här krävs egentligen bara att en specialist närvarar och ger återkoppling, vilket gör det lättare att implementera på bred front. Det går förstås också att använda våra vanliga arenor som rond, akutmottagning, mottagning, operation för undervisning och återkoppling därefter.

Handledning: Möjligheterna till handledning för ST-läkare är många och varierande. En ST-läkare kan vara handledare för AT- eller BT-läkare, gärna i en ”treenighet” tillsammans med en mer senior kollega. Handledning kan även ske av studenter i klinisk tjänstgöring eller inom ramen för ST-arbeten, där en läkarstudent kan delta och ST-läkaren fungera som bihandledare tillsammans med huvudhandledaren i forskningsdelen. Dessutom kan en mer senior ST fungera som handledare för en junior ST (s.k. peer learning). Handledning av andra personalkategorier, exempelvis randande akut-

läkare eller distriktsläkare, samt deltagande i KUA (klinisk undervisningsavdelning), är ytterligare exempel. För att stärka bedömningen av handledningsförmåga diskuterades också möjligheten att införa en särskild ”bedömningsdoktor” en halvdag per månad med uppgift att observera och återkoppla, samt konceptet gaffelmottagning där handledning sker direkt i klinisk vardag.

Kommunikation: Även kommunikativ kompetens kan fångas i flera återkommande kliniska situationer. Exempel är morgonrapport och muntliga rapporter, där det är viktigt att i förväg tydliggöra att presentationen kommer att observeras och återkopplas (dock inte direkt efter nattjour). Journal clubs kan organiseras med en utsedd person som ansvarar för återkopplingen. Kommunikation kan också värderas vid case based discussions (CBD) när journaler gås igenom, liksom vid möten, kurser, undervisningstillfällen och klinikmöten. I den dagliga verksamheten sker kommunikation på operationssalen, ronden och i patientmötet – alla situationer där ST-läkarens förmåga att uttrycka sig tydligt och anpassa kommunikationen till mottagaren kan bedömas.

Diskussionerna visade tydligt att det finns ett stort engagemang i nätverket kring att inte bara uppfylla formella krav, utan också säkerställa att våra blivande specialister får en reell möjlighet att utveckla de kompetenser som ibland lite slarvigt benämns som ”mjuka värden”. I själva verket är detta centrala och träningsbara färdigheter, som genom övning och strukturerad återkoppling kan utvecklas på samma sätt som mer tekniska färdigheter.

TISDAG: FORMALISERING AV STYRELSEN

Den andra dagen ägnades åt att formalisera nätverket. Stadgar upprättades och en styrelse valdes. Den består av:

• Anna Tholson, ordförande (2 år)

• Mathilde Baekkkevold, sekreterare (1 år)

• Cecilia Fredholm, ledamot (1 år)

• Andra Irbe, ledamot (2 år)

• Kristina Klingesten, nyval ledamot (2 år)

Protokoll och stadgar presenteras på SOFs hemsida. Med en tydlig styrelse på plats finns nu förutsättningar att ytterligare stärka nätverkets arbete, och att fortsätta utveckla gemensamma verktyg för utbildning och kvalitet inom ortopedin.

och Kvalitetsansvarig, SOF

Kajsa Thulin SPUR-

Summering

ROBOTASSISTERAD KIRURGI Olof Sköldenberg

En fråga som blivit hetare med tiden är robotassisterad proteskirurgi. Robot används inom flera andra specialiteter, gynekologi och urologi, men var ligger ortopedin?

Olof beskrev att det ännu finns väldigt liten evidens när det gäller förbättrade patientrapporterade utfall, men med robot uppnår man en radiologisk förbättring i komponentplacering. Robotassisterade ingrepp som rutin kan i framtiden vara aktuellt även i Sverige och då inom rygg- och proteskirurgi. På marknaden finns flera olika system, MAKO, ROSA m.fl. I Sverige hänger ännu implantat och robot ihop men i andra delar av världen så finns robotar som hanterar olika implantat. Det finns några få center i landet som har robot idag, varav en privat leverantör.

Internationellt finns det starka medikolegala drivkrafter bakom robotkirurgi. Om implantaten sitter exakt så undviker man stämningar. Även försäkringsbolag driver robotutveckling för att slippa betala ut ersättningar. Sverige är sena på bollen internationellt sett men nu finns en ruta i höft- och knäprotesregistret för att registrera robotassisterade operationer.

Konklusionen från mötet blev att i enlighet med medicintekniska produktrådets (MTP) beslut 2023 att avvakta med införande av robotassisterad ortopedi. Robot kan dock användas inom ramen för kliniska studier. Tandvårds- och läkemedelsförmånsverket (TLV – som beslutar om vilka behandlingar som ska bekostas av skattemedel i Sverige) konstaterar att robotassisterad proteskirurgi ännu inte är kostnadseffektiv i Sverige.

KVALITETSREGISTER Ola Rolfsson

Ola började med att gratulera oss alla då det är 50-årsfirande av registerstart i år och konstaterade att registren bidragit till oerhört mycket gott. Vi måste mäta för att kunna förbättra. Men 2025 drabbas registren av minskade anslag med hela tio miljoner. Sedan 2023 har anslagen halverats. Flera försök att minska kostnaderna har gjorts, bland annat så har svenska höft- och knäprotesregistren slagits samman. Finansieringen har gått från tio miljoner till 700 000 kr. Arbetsgivare backar upp glappet.

Nationell Samverkansgrupp hälsodata (NSG hälsodata) beslutar om tilldelningen av medel. SKR är ingen myndighet och det finns ingen insyn i hur beslut tas eller på vilken grund, berättade Ola. Statsbidrag går i stället direkt till registercentrum (RCO).

SOF har tagit fram en strategiplan för att stödja kvalitetsregistren och ska verka för att dessa ska finnas. Kommentarer från mötesdeltagarna var upplyftande med uttalanden såsom: ”Så mycket glädje för så lite pengar”!

Ola sammanfattade att bakom de minskade anslagen finns en övertro på nya digitala system som förmodas kunna samla in all data som behövs för att analysera kvalitet och resultat. Dock är investeringarna i de nya informationssystemen så stora att ingen har råd med det i dagsläget. Han avslutade dock den rätt dystra dragningen med att vi inte ska ge upp hoppet. Vi ska inte vara dysterkvistar. Slaget må vara förlorat, men inte kriget!

BT – NÄRMARE ÄN NÅGONSIN

SOF:s utbildningsansvarige tog ett grepp kring BT och planeringen. Från våren 2027 kommer de som är klara med läkarutbildningen att vara legitimerade. AT kommer att finnas kvar minst till 2029 parallellt för kandidater som blivit försenade av olika anledningar. BT kommer att lösas på olika sätt i olika regioner. Uppfattningarna om hur BT ska utformas gick isär i auditoriet. Det finns regionala skillnader gällande hur man ser på anställningsförhållanden och om man tänker ha fristående BT eller låta den vara helt integrerad i en ST-tjänst. Kunskapsmålen för ST i ortopedi är liksom tidigare helt målstyrda och minimitiden för BT och ST är minst fem och ett halvt år.

ORTOPEDEXAMEN Christian Carrwik

Christian Carrwik fortsatte med att berätta om ortopedexamen. Totalt 41 deltagare kom till det praktiska provet. Trettiotre av dessa blev helt godkända, två helt underkända och sex examinander blev godkända efter komplettering. Vi kan konstatera att gipsa är en konst som inte alla behärskar. Som gäster fanns vid examen även styrelsekolleger från Svensk Kirurgisk Förening. Kirurgerna vill skapa en egen praktisk examen med ortopedexamen som mall.

UTBILDNING OCH FORTBILDNING Kajsa Thulin och Cristian Carrwik

Nu kommer ett lagförslag kring fortbildning för legitimerade yrkesgrupper. Lagen börjar gälla 1 januari 2028. SOF rekommenderar att man redan nu får in vanan att ha och dokumentera fortbildningssamtal med sina medarbetare. Fortbildningen ska följas upp och redovisas i patientsäkerhetsberättelsen senast i mars påföljande år. Kajsa Thulin berättade att ST-skolans platser går delvis tomma. Ibland får inte STläkare ledigt från sin kliniska tjänstgöring men det händer också att ST-läkare avbokar utan att verksamheterna vet om det. Föreslås att intyg kring avbokad kurs behöver lämnas in från verksamheten. Kajsa uppmanade starkt att verkligen jobba för att ST-läkare kan delta i ST-skolan och inte hamna i otakt. Då behövs fler kurser skapas och allt blir dyrare.

I SOF:s ”Utveckling för ledare” så kommer nu ett fortsättningsprogram med tre träffar per år via Handelshögskolan. Kursprogrammet ”Att leda sjukvård” är klart för start i januari men det finns fortfarande platser kvar.

LÖNESKILLNADER INOM ORTOPEDIN

Maziar Mohaddes

Enligt en undersökning i Läkartidningen presenterades ortopedin som en specialitet där löneskillnader mellan kvinnor och män var stor. Till männens fördel. Kontentan av programpunkten blev helt riktigt en uppmaning till chefer att se över eventuella osakliga löneskillnader så att ortopedin i nästa publika undersökning inte framstår som en ojämnställd, förlegad och manschauvinistisk specialitet. Smart!

Ortopediskt Magasin

Karin Bernhoff Huvudredaktör

Utvecklad samverkan ...

Ett reglerat och ökat samarbete mellan offentlig och privat vård krävs för att vi ska kunna ge en god vård på lika villkor för hela befolkningen.

Den svenska hälso- och sjukvården är hårt ansträngd och står inför betydande utmaningar. Vi förmår i dag inte uppfylla målet om en god och jämlik vård inom rimliga tidsramar. Hälso- och sjukvårdslagen slår fast att den som har störst behov ska prioriteras i vården. I verkligheten ser det dock annorlunda ut. En allt större andel operationer utförs numera av upphandlade privata aktörer, vilket visserligen har ökat tillgängligheten för relativt friska patienter men samtidigt minskat den offentliga vårdens möjlighet att ta hand om de mest sjuka. Denna utveckling har förstärkts efter pandemin, då många ur vårdpersonalen lämnat den offentliga sektorn för privat verksamhet. Konsekvensen blir att patienter utan omfattande samsjuklighet snabbt får vård, medan de mest vårdbehövande i vissa regioner får vänta över ett år, ibland flera, på nödvändiga operationer

Befolkningsutvecklingen innebär att färre människor ska ta hand om fler, samtidigt som kostnaderna måste hållas nere. För att lyckas med denna omställning krävs en rad insatser. Det handlar om att säkra tillgången på kompetent personal och att fullt ut ta tillvara möjligheterna med omställningen till nära vård, nya arbetsmetoder och samarbeten, samt teknisk utveckling och digitalisering. Ett reglerat och fördjupat samarbete mellan offentlig och privat vård är avgörande – och detta samarbete måste sträcka sig bortom enbart utbildningsuppdraget.

NPO Rörelseorganens sjukdomar och Svensk Ortopedisk Förening (SOF) har gemensamt drivit denna fråga i flera år. Vi menar att den samlade kapaciteten inom offentligt finansierad vård, både regional och privat, behöver utnyttjas mer effektivt. För att nå dit bör offentlig och privat vård betraktas som komplement snarare än konkurrenter. Vi delar också uppfattningen att konkurrensen mellan offentlig och privat vård visserligen har bidragit till ökad effektivitet, men att den inom ortopedin framför allt har gynnat patienter med relativt sett mindre vårdbehov. Samtidigt står vi inför stora utmaningar med framtidens kompetensförsörjning. Kapaciteten att behandla de svårast sjuka ortopediska patienterna måste förstärkas, men i dag används resurser och kompetens på ett otillräckligt sätt. Högspecialiserad kompetens läggs på enklare operationer, medan vi saknar både kapacitet och rätt resurser för de mest vårdkrävande.

När den privata vården fortsätter att växa nås dessutom en brytpunkt där den offentliga vården inte längre förmår uppfylla sitt uppdrag. Detta riskerar att underminera

systemet på en allvarlig nivå. Situationen kan förvärras ytterligare om personalflykten från de offentligt drivna sjukhusen fortsätter utan att kraftfulla åtgärder sätts in.

I dag agerar regionerna var för sig och ofta med kortsiktiga lösningar. Helhetsperspektivet saknas, liksom ett ansvarstagande för de långsiktiga konsekvenserna. För att skapa bättre förutsättningar att erbjuda en jämlik och högkvalitativ vård, där patienter får rätt vård i rätt tid av rätt kompetens, behövs en tydligare styrning – både nationellt och regionalt – som främjar gemensamt ansvarstagande. Detta har vi försökt att driva under flera år utan större framgång. Trots att ett nationellt helhetsperspektiv vore önskvärt, är det sannolikt mer realistiskt att regionerna själva tar ansvar för att driva utvecklingen framåt.

Vi föreslår därför att det i regionerna utformas avtal som säkerställer att kompetensen används på bästa sätt genom samarbete mellan offentlig och privat vård kring jour- och 24/7-uppdrag, forsknings- och utbildningsuppdrag samt beredskap vid kriser som katastrofer, pandemier och krig. Vidare bör gemensamma ersättningsmodeller tas fram för hur beredskap, jour, forskning och utbildning ska kompenseras när privata aktörer deltar. Alla regioner bör dessutom möjliggöra arbete inom både offentlig och privat regi, och anställningsformer och förmåner måste utvecklas för att stödja detta arbetssätt. Här ingår bland annat att lösa pensionsfrågan för dem med dubbel anställning och att utforma lönestrukturer som inte riskerar att utarma den offentliga vården.

Det finns en gemensam förståelse både för problemen och för vilka åtgärder som krävs. Om offentlig och privat vård betraktas som kompletterande snarare än konkurrerande öppnas stora möjligheter. För att hela befolkningen ska kunna erbjudas god vård på lika villkor krävs ett reglerat och fördjupat samarbete mellan vårdformerna. Som ett första steg föreslår vi att en region genomför en pilot inom en specialitet, där våra förslag kan prövas i praktiken.

Magnus Eneroth Ordförande NPO Rörelseorganens Sjukdomar

Maziar Mohaddes Ordförande Svensk Ortopedisk Förening

... där båda behövs

Efter pandemin ökade samordningen till upphandlade privata aktörer inom region Skåne kraftigt. Idag görs nästan hälften av alla höft- och knäprotesoperationer i privat regi i Skåne. Men avtalen som styr samarbetet är både kortsiktiga och saknar struktur som tar hänsyn till utbildning, jourverksamhet, forskning och framtida kompetensförsörjning.

ISkåne har operationskapaciteten på akutsjukhusen fortsatt vara begränsad, och en tydlig strategi för Skånes universitetssjukhus (SUS) är att nivåstrukturera allt som inte kräver det stora sjukhusets resurser. Grundtanken är en iterativ process, där nya metoder tas fram på SUS och sedan slussas ut på mindre sjukhus, som i sin tur effektiviserar och polikliniserar. För tjugo år sedan trodde många att sjukhussängarna idag skulle vara fyllda av 60-åringar, men det har motverkats av den medicinska utvecklingen. Till exempel har risken för hjärtinfarkt eller stroke halverats. Vården fortsätter att utvecklas, och dagens domedagsprofetior kanske inte heller kommer att slå in fullt ut. De kommande årens stora mängder 80- och 90-åringar kanske inte kommer att konsumera lika mycket inneliggande sjukvård som vi tidigare trott.

Även om det är svårt att sia om framtiden finns det skäl att tro att morgondagens äldre i högre grad än dagens kommer att vara aktiva länge och ha högre krav på sin rörelseapparat. Vi måste skapa förutsättningar för att både de sjukaste och de mest aktiva ska ha god tillgänglighet till vård, samtidigt som vi klarar jourverksamhet och akutflöden, och har hållbara strukturer för utbildning, forskning och fortbildning.

På initiativ från Svensk Ortopedisk Förening och NPO för rörelseorganens sjukdomar träffades för några år sedan en grupp ortopeder för att försöka hitta lösningar på de problem som svensk ortopedi står inför i nuvarande sjukvårdsystem.

Gruppen utgjordes av representanter från SOF, NPO, några av universitetsklinikerna samt de två största privata vårdgivarna inom ortopedi.

Man identifierade följande problemområden: tillgänglighetsproblem generellt för ortopediska patienter och i synnerhet för de med betydande samsjuklighet, svårigheter att erbjuda blivande ortopeder tillräckliga kirurgiska volymer för en mängd olika och vanliga ingrepp, svårigheter att bedriva klinisk forskning enbart på universitetssjukhus då mycket av rutiningrepp görs på högflödesenheter utanför universitetssjukhusen samt svårigheter att upprätthålla tillräcklig bemanning för att säkra akutsjukvården dygnet runt.

Samtliga i gruppen var överens om att ett ökat samarbete mellan offentliga och privata vårdgivare samt mellan universitetsklinikerna och de mindre sjukhusen behövs.

Gruppen enades om att samarbetet behöver ökas både genom nationella riktlinjer för hur vård upphandlas och genom lokala samarbetsprojekt för att stimulera samarbete här och nu för att få en framdrift i frågorna.

Arbetet har nu lett till att en grupp i Skåne med representanter för två av akutsjukhusen och två av de större privata vårdgivarna nu träffas regelbundet och diskuterar ökat samarbete kring tillgänglighet, forskning, utbildning och jourverksamhet.

Ett konkret exempel inom framtida kompetensförsörjning är planerna på ett gemensamt fellowship inom ryggkirurgi. Det skulle ge läkare under utbildning tillgång till de stora elektiva volymer som görs i privat regi, samtidigt som de får ta del av universitetssjukhusets breda verksamhet. På så sätt kan vi kombinera styrkorna hos olika aktörer och skapa bättre förutsättningar för framtidens ortopedi.

Ett annat exempel på ökat samarbete i Skåne ses inom forskningen. Det är ett pågående projekt i Malmö där Handkirurgiska kliniken på Sus bedriver en klinisk studie på tumbasartros tillsammans med en av de privata vårdgivarna. Då betydligt större volymer opereras på den privata kliniken har man tillsammans på kort tid lyckats inkludera det antal patienter som studien krävde.

Inom ortopedin i Skåne ser vi också nu läkare som arbetar både på privata kliniker och de offentliga sjukhusen. Detta är något som vi inom arbetsgruppen tror är positivt för den svenska ortopedins utveckling.

I syfte att öka tillgängligheten för ASA3-patienter har man gjort en extra granskning av de som väntat längst på sina operationer för att se vilka som trots en betydande samsjuklighet kan genomgå en operation hos någon av de privata klinikerna.

Detta styrker uppfattningen om att vi kommer att fortsätta behöva olika aktörer i vårt sjukvårdslandskap - och att offentlig och privat vård inte ska ses som konkurrenter, utan som medspelare i samma lag. Vi måste gå från tillfälliga avtal till långsiktiga partnerskap.

Framtidens ortopedi kräver att vi bygger hållbara samarbeten. Låt oss skapa strukturer för gemensamt ansvar – för patienternas skull, för utbildningens skull, och för att hela vården ska vara hållbar.

Låt oss utgå från att såväl offentliga sjukhus av olika storlek, som privata verksamheter av olika karaktär – både vill och kan bidra till hela kakan av uppgifter som ska lösas. Inte bara olika nivåer av sjukvård, utan även utbildning, jourverksamhet, forskning och utveckling.

Offentliga sjukhus och privata verksamheter har olika förutsättningar och drivkrafter, men båda behövs. Låt oss använda dessa skillnader som en styrka, utan att låta oss begränsas av dem.

Jenny Wingerstrand Verksamhetschef VO Ortopedi Skånes universitetssjukhus

Anders Kjellin Överläkare, medicinskt ansvarig Aleris Ortopedi och Operation Malmö

Välj ditt snitt och därmed dina komplikationer

Debatten om snitt har plågat vår profession i årtionden och har präglats av starka övertygelser av en snarare dogmatisk än vetenskaplig karaktär. Som enskild ortoped får man sällan lära sig flera snitt, utan man lär sig oftast ett snitt som anses vara den gyllene standarden på hemmakliniken. Byter man sedan till en arbetsplats där ett annat snitt används kan man börja undra vem som gör fel och vem som gör rätt.

För 15 år sedan gjordes nästan hälften av alla totala höftproteser med lateralt snitt. Därefter har bakre snitt vunnit mark och numera utförs ungefär 65% med bakre och 34% med lateralt snitt. Huvudskillnaden mellan lateralt och bakre snitt är att tillgång till höftleden görs genom att den främre delen av höftens abduktormuskler (gluteus medius och minimus) på det första, och de korta utåtrotatorerna på det senare, frigörs (Fig 1 och 2).

SNITT OCH KOMPLIKATIONER

Protesluxation och hälta är komplikationer som verkar vara relaterade till snitt. Luxation är en distinkt händelse som föranleder kontakt med vården. De flesta luxationer blir stabila efter en sluten reposition, men några kommer att fortsätta luxera och behöver opereras om. Vi vet inte hur stor risken är för protesluxation i Sverige (Danmark 2,8 %), men vi vet att 0,4% av höftprotesopererade behöver operera om sin protes inom två år på grund av luxation. Hälta manifesteras som utebliven rehabilitering efter en höftprotesoperation när patienter inte kan släppa kryckorna. Hälta är svår att mäta på ett objektivt sätt och finns inte i något register. Det är därför oklart hur ofta hälta uppstår.

EVIDENSLÄGE

Alla registerstudier har pekat på bakre snitt som en riskfaktor för luxation, vilket troligen förklarar varför lateralt snitt används i så stor utsträckning i Sverige. Vårt ledprotesregister har

Figur 1: Vid lateralt snitt frigörs den främre delen av gluteus medius senan tillsammans med den främre delen av vastus lateralis fäste från trochanter major för att komma åt höftleden. Främre kapsel kan frigöras eller tas bort helt. De frigjorda senorna sys sedan tillbaka till trochanter när protesen är insatt.

Proximalt

Figur 2: Vid bakre snitt frigörs utåtrotatorerna från trochanter major för att komma åt höftleden. Bakre kapsel frigörs men besparas och sys tillbaka till trochanter tillsammans med utåtrotatorerna när protesen är insatt.

dock visat att den risken har successivt minskat och ligger numera på samma nivå som risken efter lateralt snitt. Modernare implantat och vetskapen att bakre snitt är mindre förlåtande än lateralt kan ha bidragit till att bakre snitt har blivit säkrare. Betydligt färre studier har försökt studera hälta med hjälp av gånganalys och patientenkäter. Några har visat en större risk för hälta efter lateralt snitt, men andra har inte kunnat påvisa någon skillnad mellan snitten. Man får dock komma ihåg att studier om hälta är betydligt mindre (ofta < 100 patienter) än registerstudier och har därför en lägre förmåga att hitta generaliserbara skillnader. En intressant studie, som undersökte hur enskilda höftmuskler blir påverkade av ärrbildning och fettomvandling efter höftledsplastik, visade att abduktormuskulatur, som är väsentlig för en normal gång, blir betydligt mer påverkad efter lateralt snitt än vad utåtrotatorer blir efter bakre snitt.

FINNS TILLRÄCKLIGT MED EVIDENS

FÖR ATT VÄLJA ETT SNITT?

Det korta svaret är ”inte än”. Vi skulle behöva få vår observation, att risken för luxation i modern tid inte längre beror på snitt, bekräftad av andra internationella ledprotesregister innan vi permanent kan klippa navelsträngen mellan bakre snitt och luxation. Beträffande hälta, behövs större

REFERENSER

Svenska Ledprotesregistret Årsrapport 2024. https://registercentrum.blob.core. windows.net/slr/r/-rsrapport-2024-Svenska-Ledprotesregistret-Ze531aeCZ.pdf

Hermansen LL, Iversen TF, Iversen P, Viberg B, Overgaard S. The "true" 1-year incidence of dislocation after primary total hip arthroplasty: validation of an algorithm identifying disloca-tions in the Danish National Patient Register based on 5,415 patients from the Danish Hip Ar-throplasty Register. Acta Orthop. 2024 Jul 17;95:380-385. doi: 10.2340/17453674.2024.41064. PMID: 39016045; PMCID: PMC11253031.

Rosenlund, S., Broeng, L., Holsgaard-Larsen, A., Jensen, C., & Overgaard, S. (2017). Patient-reported outcome after total hip arthroplasty: comparison between lateral and posterior ap-proach. Acta Orthopaedica, 88(3), 239–247. https://doi.org/10.1080/17453674 .2017.1291100

Rosenlund S, Broeng L, Overgaard S, Jensen C, Holsgaard-Larsen A. The efficacy of modified direct lateral versus posterior approach on gait function and hip muscle strength after primary total hip arthroplasty at 12months follow-up. An explorative randomised controlled trial. Clin Biomech (Bristol, Avon) 2016;39:91-9 https://doi.org/10.1016/j. clinbiomech.2016.09.011

Svarnas G, Popa V, Patsiou TS, Schwab JM, Tannast M. Postoperative muscle atrophy and fatty degeneration with respect to surgical approaches in total hip arthroplasty. Arch Orthop Trauma Surg 2025;145:1:177 https://doi.org/10.1007/ s00402-025-05793-0

studier på hundratals patienter för att kunna kartlägga dess incidens och bekräfta dess samband med lateralt snitt. Man får också ta i beräkningen vilka behandlingsalternativ som finns för varje komplikation. Luxation kan behandlas även om behandlingen ofta innebär en omoperation av protesen. Hälta, däremot, saknar något effektivt behandlingsalternativ. På Sahlgrenska universitetssjukhuset pågår en stor studie som jämför risken för hälta och luxation mellan snitten, samt en studie som utvärderar en ny kirurgisk metod för reparation av den skadade abduktormuskulaturen hos haltande höftprotespatienter. Förhoppningsvis kommer dessa studier att ytterligare stärka evidensläget och hjälpa oss välja snitt.

Georgios Tsikandylakis

Överläkare i ortopedi Sahlgrenska universitetssjukhuset Göteborg

Redefining ProPlus.

Fillauer ProPlus -enheter, såsom ETD, ETD2 , MC Hand och MC ProWrist , är nu 200 gånger snabbare än tidigare modeller och erbjuder blixtsnabba responstider samt hållbarhet som varar.

Blodigt allvar – kloka blodtransfusioner i fokus

Under en halvtimme på Ortopediveckan samlades vi för att reflektera över hur vi kan arbeta inom ortopedin för att förstå angelägenheten av att ge blod. Samtidigt diskuterades hur man kan implementera föreslagna blodtransfusionsriktlinjer. Symposiet leddes av Bengt Herngren från Jönköping, med temat ”Blodigt allvar – kloka blodtransfusioner”.

En inledande föreläsning hölls av docent Karl-Åke Jansson, Södersjukhuset, som presenterade blodtransfusioner som vanligt förekommande och ibland en livräddande behandling. Det är blodigt allvar att stärka kapaciteten: en blodpåse varje minut, dygnet om, året om behövs. Dessutom krävs vid toppar i vardagen en högre flexibilitet och inte minst stärkt beredskap för särskilda händelser. Han visade på skillnader i blodgivning, där bland annat kvinnor ger blod oftare än män i Sverige. Vidare gavs råd utifrån internationella riktlinjer avseende restriktiv kontra liberal transfusionsstrategi. ”Mindre är ofta mer – vi vet att en väl avvägd blodtransfusion kan minska komplikationer”, konstaterade han. Ett sätt att göra ännu bättre kloka kliniska val är att involvera patienten tydligare och mer öppet.

PANELFRÅGOR

OCH SAMTAL

Särskilt uppskattat blev panelsamtalet där Karin Bernhoff, Akademiska sjukhuset i Uppsala, inledde med frågan varför

man ska ge blod. De flesta som donerar blod i dag är kvinnor – varför det är så vet man inte. Karin har en lång karriär som blodgivare. I 35 år har hon hållit på, tre gånger per år. Först som student under den magra studietiden, då en blod- eller plasmagivning gav både pengar och fika. Sedan av altruistiska skäl. ”Man blir inte trött och det är dessutom en liten gratis hälsokontroll tre gånger per år. Vi får dessutom ge blod på betald arbetstid, vilket kan ge en liten paus mitt i en hektisk vardag”, fortsatte hon.

Restriktiv hållning av att ge blod (<80 g/l) lika säkert som liberal hållning (<100g/l). Mortalitet, mobilisering och komplikationer lika!

Pendar Khalili, Centralsjukhuset Karlstad, berättade om behovet av att fler unga män (under 40 år) bör ge blod. Han är själv relativt nybliven blodgivare och kunde berätta att det varken är läskigt eller påverkar orken. Auditoriet uppmanades att följa hans exempel. Pendar beskrev sakligt: Elektiva patienter med preoperativ anemi ska utredas och optimeras innan operation, annars riskerar patienten både blodtransfusion och postoperativa komplikationer.

Kristian Stjerna, Östersunds sjukhus, betonade vidare vikten av såväl personcentrerade som evidensbaserade riktlinjer för vid vilket blodvärde som ska ”trigga” indikation för blodtrans-

Unga män, under 40, bör uppmanas att ge blod. Foto: Swedish Blood Bank.

fusion. Avslutningsvis berättade Karin Bernhoff hur man i Uppsala arbetat med ”en påse kanske räcker”. Hon beskrev också riskerna med blodtransfusion, där varje påse är en ny biologisk produkt som kan ge transfusionsreaktioner. Om man har gett en påse framgångsrikt finns inga garantier för att nästa påse går lika komplikationsfritt.

Hur har det då gått i Uppsala med budskapet ”en påse i taget”? Jo, från att ha legat bland de sjukhus som ger flest blodtransfusioner i riket har man nu hamnat i nivå med landet i övrigt. Våra europeiska och nordiska grannar transfunderar dock fortfarande mindre än vi i Sverige.

Patient Blood Management är ett internationellt samlingsbegrepp för att ge blod vid rätt tillfälle, till rätt patient och på rätt indikation. De länder som arbetat med sina vårdprogram – som exempelvis Danmark – har lyckats halvera antalet givna blodtransfusioner.

Det handlar om att hushålla med en ändlig resurs. Blodbanken är också en del av Sveriges totalförsvar och beredskap.

KLOKSKAPEN SAMMANFATTADES

Varje enhet blod är en gåva som kostar resurser. Att använda blod klokt är en etisk och hållbarhetsmässig skyldighet.

Unga män – kliv fram och anmäl er – bli blodgivare!

• Riktlinjer är bra för patient, vårdare och samhälle. Transfusionsgränser är ofta dåligt förankrade, och det finns skillnader i klinisk praxis inom landet. Profylax är bättre än intervention/transfusion – preoperativ anemi är vanligt och bör behandlas preoperativt. Det blöder vid kirurgi, men många transfusioner är onödiga. Tranexamsyra (se vårdförlopp höftfrakturer) kan troligen användas i större utsträckning än i dag.

FRAMÅTBLICK

Med starkt engagemang och en tydlig samsyn blev halvtimmen ett viktigt steg mot en mer säker, jämlik och kostnadseffektiv transfusionspraxis i svensk ortopedkirurgisk vård.

En påse i taget har varit en framgångsrik kampanj i Uppsala.

REFERENSER

Nationella rekommendationer från transfusionsmedicin gällande indikationer för erytrocyttransfusioner och perioperativ transfusionsstrategi, 2022

Transfusionsstrategi – att ge blod på rätt indikation. [Wikman et al, Läkartidningen, 2020]

Transfusion thresholds and other strategies for guiding allogeneic red blood cell transfusion.

Carson JL et al., 2016, Cochrane Systematic Review

Karin Bernhoff

Huvudredaktör

Ortopediskt Magasin

Vi är nu ForMotion Ortopedteknik

Som en del av ett globalt nätverk fortsätter vi att utveckla vårt ortopedtekniska arbete genom stärkt kunskapsutbyte och innovation – allt för våra patienters bästa.

Vårt fokus ligger fortsatt på hög service, klinisk kvalitet och lösningar som möter patienternas behov – för ett liv utan begränsningar.

Läs mer på www.formotion.se

ortopedteknik

Kvinnliga ortopeders stiftelse, BGS

utlyser rese/forskningsbidrag på 30 000 kr.

Bidraget kan sökas för yrkesmässig utveckling i form av resa för besök på annan klinik, deltagande i kurs/konferens eller forskningsarbete inom den ortopediska specialiteten för att främja kvinnliga ortopeders fortbildning.

Ansökan skickas till BGS sekreterare, Ebba Fridh per e-post: ebba.fridh@vgregion.se

Ansökan ska innehålla uppgifter om sökanden i form av CV (1 sida) och vad bidraget avses att användas till (max 2 sidor).

Sökanden måste vara medlem i Svensk Ortopedisk Förening.

Sista ansökningsdag är 31 januari 2026. Redovisning av erhållna bidrag görs genom rese/forskningsrapport för publicering i Ortopediskt Magasin.

Stiftelsen BGS, Kvinnliga Ortopeder i Sverige

EPIPHYSEN PÅ ORTOPEDIVECKAN

Amputationer av nedre extremiteten

Kliniska insikter från Dr Gert-Uno Larsson

Under Ortopediveckans andra dag i Jönköping bjöd Epiphysen in ortopedkirurg Gert-Uno Larsson, tidigare verksam i Ystad och Kristianstad, för att hjälpa publiken besvara den stora frågan: När är amputation det bästa behandlingsalternativet? Med lång klinisk erfarenhet och internationellt engagemang, bland annat i krigsdrabbade områden, delade Dr Larsson med sig av praktiska råd och evidensbaserade insikter kring amputationskirurgi – i linje med årets tema ”Kloka kliniska val”.

Dr Larsson inledde med att påminna om att amputation är en av de äldsta ortopediska operationerna. I Sverige utförs över 2000 amputationer årligen, och kvaliteten på den initiala kirurgin är avgörande – en dåligt utförd amputation är svår att korrigera med ny kirurgi.

PATIENTSELEKTION OCH NIVÅVAL – NYCKELN TILL FRAMGÅNG

En central fråga i föreläsningen var när amputation är det mest lämpliga behandlingsalternativet. Dr Larsson betonade vikten av att utgå från mjukdelsstatus, patientens funktionella förmåga och att involvera ett interprofessionellt team både pre- och postoperativt. Diabetiker lyftes fram som en särskilt utsatt patientgrupp, med både hög amputationsrisk och ökad komplikationsbenägenhet. Valet av sko postoperativt är avgörande: ”Styv sula rekommenderas för att fördela viktbelastningen – när delar av understödsytan försvinner omfördelas trycket.”

KIRURGISKA NIVÅER – FÖR- OCH NACKDELAR

Lisfrancs-amputation avråddes generellt, då den ofta leder till obalans mellan akillessenan och främre fotsenor, vilket kan resultera i spetsfot och kronisk smärta. En möjlig lösning är samtidig tenotomi av akillessenan. Modifierad Boyd-amputation presenterades som ett alternativ vid kärlproblematik i framfoten men med intakt hälvävnad. Larssons teknik innefattar artrodes mellan kalkaneus och tibia med korslagda kanylerade skruvar.

• Transtibial amputation är den vanligaste i Sverige och enligt SwedeAmp ger den bäst funktionellt utfall och lägst komplikationsrisk. Sagittell snittföring rekommen-

deras för optimal ärrplacering och protesanpassning. Femuramputation bör reserveras för icke-gångare med otillräcklig cirkulation. Stabilisering av femur genom bevarande och fixering av adductor magnus är avgörande för att motverka abduktionsdeformitet.

• Knäexartikulation nämndes kort, där Dr Larsson avrådde från att sy fast patellasenan med korsbandet – en teknik som beskrivs i litteraturen men som han själv övergett.

KIRURGISKA TEKNIKTIPS

Skär genom samtliga lager direkt – undvik lagerdissektion. Ligering av stora kärl med sutur, små kärl diatermeras. För att undvika neurinom: dra ned och kapa n. tibialis och n. peroneus proximalt med diatermi.

• Spolning med NaCl efter sågning minskar risken för ektopisk benbildning.

Fascia-fascia-adaption underlättas genom att börja med mittsuturen.

Stejpels bör undvikas då de ökar postoperativ smärta vid linerstart.

Kompressionsförband används allt mer och har fördelar jämfört med gipskappa, särskilt vid sårkomplikationer.

POSTOPERATIV STRATEGI OCH

SÅRLÄKNING

Vid mellanfotsamputationer hos diabetiker rekommenderas öppen behandling, medan Boyd-amputationer kan förslutas primärt eller luckert. Om förslutningen blir för stram, kan tibia förkortas. Expektans är möjlig under de första veckorna om patienten kan belasta med protes utan smärta. Kärlkirurgisk bedömning är viktig preoperativt. Effekten av PICO-förband på sårläkning är ännu inte evidensbaserad.

Epiphysens Karin Bokvist presenterar Gert-Uno Larsson.

ETISKA OCH GLOBALA PERSPEKTIV

Dr Larsson delade även erfarenheter från arbete i Afrika, där amputation ofta ses som en dödsdom – inte medicinskt, utan socialt och ekonomiskt. Detta understryker vikten av att se patienten i sitt sammanhang och att erbjuda rehabilitering och stöd.

TAKE-HOME MESSAGES

• Bedöm mjukdelsstatus och funktion noggrant.

• Välj amputationsnivå utifrån patientens förutsättningar.

• Involvera ett interprofessionellt team. Följ evidensbaserade tekniker för att optimera resultat och minska komplikationer.

Förändring i viktfördelning vid framfotsamputation.

Balansering av senor vid Lisfrancs amputation.

drömbild gällande vård av amputationspatienter.

Dr Larssons variant av Boyds amputation.
Sagitell snittföring och sårförslutning.
Vacuumförband post-operativt.
Minne från utlandstjänstgöring.
Generella tips till kirurgen.
Dr Gert-Unos

EPIPHYSEN PÅ ORTOPEDIVECKAN

Ortoplastik

Bojan Tubic är tidigare kollega från ortopedkliniken Mölndal Sahlgrenska. Han började sin föreläsning med att berätta lite om sin intressanta karriär som läkare. Den tog sin början hos oss på ortopeden Sahlgrenska Mölndal 2013 som ST-läkare, men med en drygt tre år lång avstickare till öron-näsa-halskliniken på Sahlgrenska, för att sedan återvända till oss på ortopeden i Mölndal, där han blev färdig specialist inom ortopedi. Sedan 2022 är han ST-läkare på plastikkirurgiska kliniken på Sahlgrenska, i färd med att i dagarna bli dubbelspecialist. På Ortopediveckans bankett berättade Bojan att det inte var långt ifrån att han valde en bana som proteskirurg istället för plastikkirurg.

Bojan betonade under sin föreläsning plastikkirurgins multidisciplinära natur, där samarbete med flera medicinska specialiteter är nödvändigt. Discipliner som neurokirurgi, ortopedi, dermatologi, gynekologi och öron-näsa-hals är specialiteter som plastikkirurgin har ett tätt samarbete med. På Sahlgrenska är kliniken uppdelad i subspecialiserade team, såsom kraniofacial kirurgi, kirurgi vid läpp-käk-gomspalt (LKG), rekonstruktiv bröstkirurgi, könskorrigerande kirurgi, mikrokirurgi och allmän plastikkirurgi.

Bojan pratade till viss del om generella principer inom plastikkirurgin och citerade den moderna plastikkirurgins fader Sir Harold Gillies:

"Plastic surgery is a constant battle between blood supply and beauty."

Detta är inte minst viktigt att tänka på när man planerar sin snittföring och kanske i synnerhet när man skal operera om en patient i ett område där man tidigare stört cirkulationen. Den fysiologiska förklaringen till detta finner man i kärlträdets uppbyggnad. Bojan talade kring och visade bilder på angiosomer. Detta var nytt för mig. De flesta av oss vet att man inte ska lägga snitt för nära varandra och att man ska gå i tidigare ärr, men man funderar kanske inte så ofta på bakgrunden till detta.

Angiosomer är tredimensionella vävnadsområden – bestående av hud, fett, muskel och ibland ben – som försörjs av en specifik artär. Konceptet, utvecklat av Ian Taylor och George Palmer på 1980-talet, är centralt för planering av lambåkirurgi, där vävnad flyttas för rekonstruktion. Varje angiosom har en huvudartär och är kopplad till angränsande angiosomer via mindre kärl, så kallade choke vessels, som kan aktiveras vid behov för att säkra blodflödet.

I andra delen av föreläsningen talade Bojan om sårkomplikationer vid framförallt knäproteskirurgi. Han nämnde en incidens på upp till 22%, även om dessa varierar i allvarlighetsgrad. Bojan introducerade ytterligare ett koncept jag inte var så bekant med, nämligen expanderbehandling.

Bojan förklarade hur behandling med vävnadsexpander kan underlätta rekonstruktiv kirurgi. En vävnadsexpander är en ballongliknande protes som placeras under huden och gradvis fylls med vätska över tid. Syftet är att tänja ut huden så att mer vävnad blir tillgänglig för rekonstruktion. Denna metod

minskar spänningen vid sårslutning, möjliggör justering av ärrens placering, excision av instabil hud och kan reducera antalet ärr genom att slå samman flera till ett. Dessutom leder det konstanta trycket från expandern till ökad vaskularitet i den expanderade vävnaden. Detta sker genom att så kallade choke vessels öppnas och nya blodkärl bildas, vilket förbättrar vävnadens läkningsförmåga och gör den mer motståndskraftig vid kirurgiska ingrepp.

I tredje delen av föreläsningen diskuterade Bojan undertrycksbehandling. VAC-behandling är en välkänd metod för sårvård där ett kontrollerat undertryck appliceras över såret via ett förseglat förband kopplat till en vakuumpump. Bilden i mitten till höger, illustrerar tekniken: sårvätska, bakterier och inflammatoriska faktorer sugs bort från såret, vilket minskar ödem och skapar en renare och mer gynnsam miljö för läkning.

Vid rekonstruktioner av mjukdelar berättade Bojan att det finns flera kirurgiska alternativ beroende på huddefekters storlek, lokalisation och patientens förutsättningar. En grundläggande metod är att låta såret granulera och därefter täcka det med ett delhudstransplantat. För mer omfattande defekter används olika typer av lambåer. En vanlig lokal lösning är en stjälkad gastrocnemiuslambå, där den mediala eller laterala delen av vadmuskeln roteras för att täcka defekten, särskilt kring knäleden.

Vid större eller mer komplexa rekonstruktioner kan fria vaskulariserade lambåer användas, såsom latissimus dorsi eller anterolateral lårlambå (ALT), där vävnaden transplanteras med mikrokirurgisk teknik. Det finns även perforantbaserade lambåer, som kan vara muskulokutana – exempelvis MSAP-lambå (medial sural artery perforator) eller vastus lateralis-flik – eller fasciokutana, såsom lateral lårflik. Dessa lambåer erbjuder god täckning med bevarad funktion och minskad morbiditet vid donatorstället.

Vi lärde oss mycket som vi inom ortopedin kan ha nytta av. Både hur man kan undvika sårkomplikationer med vår snittföring, men också hur vi eller en plastikkirurg kan rädda upp en sitationen – till exempel med en vävnadsexpander. Det viktigaste budskapet var att sy hud utan tension. Detta uppnås bland annat genom att sy i flera lager och planera sitt snitt. När man kommit till hudplanet, ska tensionen vara ingen eller minimal. Slutligen så rekommenderade Bojan slutligen alla ST-läkare inom ortopedi att randa sig på en plastikkirurgisk klinik.

Perforantkärl spelar också en viktig roll – de är små kärl som förbinder djupare blodkärl med hudens ytliga nätverk och används ofta som bas för lambådesign. Genom att förstå dessa anatomiska principer kan kirurgen välja rätt vävnad med bibehållen blodförsörjning och därmed minska risken för nekros. En gyllene regel är att följa tidigare snittlinjer, vilket minskar risken för att störa kvarvarande kärlförsörjning.

Sårvätska, bakterier och inflammatoriska faktorer sugs bort från såret, vilket minskar ödem och skapar en renare och mer gynnsam miljö för läkning.

Illustrationen visar behandlingsupplägget vid rekonstruktiv kirurgi med expanderprotes, enligt praxis vid Sahlgrenska Universitetssjukhuset. Första seansen innebär inläggning av expanderprotes och påbörjad expansion efter två veckor, med veckovisa påfyllningar. I den andra seansen avlägsnas protesen och lambån breddas, eventuellt i kombination med knäartroplastik. Den tredje seansen är den slutliga knäartroplastiken.

I bilden ovan så representerar kärlträdet till höger perforantkärlet. Den gula linjen är ett snitt vid primär kirurgi.

I denna bild har man lagt ytterligare ett snitt i närheten av det första snittet. Lägger man snitten för tätt så riskerar man att förstöra cirkulationen för zonen mellan snitten.

Medial gastrocnemiuslambå är en stjälkad muskulär lambå som ofta används vid mjukdelsrekonstruktion kring knäleden. Den mediala delen är längre och mer voluminös än den laterala, vilket gör den särskilt lämplig för att täcka defekter över patellas nedre del och tuberositas tibiae.

Alexander Tilosius Specialistläkare ortopedi Sahlgrenska Universitetssjukhuset

Mat som en del av sårbehandlingen

– sjuksköterskans viktiga roll

Det kan börja med något litet – ett sår på benet, ett tryck, en hudflik som går sönder eller kanske ett sår som uppstår av en olycka eller efter en operation. Men om kroppen inte får rätt förutsättningar att läka, kan det lilla snabbt bli något som tar lång tid att få bukt med. En sak som ofta hamnar i skymundan är näringens betydelse. Här kan vi sjuksköterskor faktiskt göra stor skillnad.

Ivården är det tyvärr inte ovanligt att nutrition kommer in sent i processen gällande sårbehandling, ibland först när såret har blivit riktigt besvärligt. Trots att forskningen är tydlig – utan tillräckligt med näring går sårläkningen långsammare, risken för infektioner ökar och vårdtiden blir längre. Det är inte bara hos multisjuka äldre. Även yngre patienter med till exempel smärta, infektion eller illamående kan tappa matlusten snabbt, och då vänder det fort.

ESPEN – de europeiska riktlinjerna för klinisk nutrition – understryker hur viktigt det är att tänka på näring tidigt i sårbehandlingen. Och det är vi sjuksköterskor som ofta har bäst chans att fånga upp när det börjar gå åt fel håll.

Vi möter patienterna ofta. Men vi kanske inte alltid ser dem i själva matsituationen. Vi kanske ser en tallrik passera förbi eller att det står mat på diskbänken och drar slutsatser utifrån det. Men den informationen räcker inte. Det är viktigt att samtala kring maten och att vi inte glömmer att ställa öppna frågor: Det fungerar exempelvis inte att fråga med ett påstående: Du äter bra, eller hur? Då kommer du oftast att få svaret: ja. En bättre fråga kan vara: ”Kan du berätta för mig hur en vanlig dag ser ut för dig när det gäller maten?” Det är också viktigt att du frågar om mattider och ber att de inte förskönar svaren. Fråga också om vikten är stabil. Vet de inte det kan du fråga om kläderna passar som de gjort innan.

Är det så att matintaget inte räcker till, kan vi ibland komma långt med små förändringar – energiberika maten, erbjuda mellanmål, dela upp måltiderna. Om det inte hjälper, kan det vara

aktuellt med näringstillskott och ibland behöver vi även ta hjälp av en dietist.

Det handlar inte bara om kalorier. För att kroppen ska kunna bygga upp ny vävnad krävs mer protein än vanligt. Särskilt vid trycksår, bensår eller efter operation. Då räcker det inte med bara ”något i magen”. Vi behöver aktivt hjälpa patienten att få i sig proteinrik mat – eller tillskott vid behov.

Vätskebrist är också vanligare än vi tror. Många äldre känner inte törst på samma sätt, och ett lågt vätskeintag kan fördröja läkningen rejält. Här kan vi sjuksköterskor påminna, erbjuda och hjälpa till praktiskt så det verkligen blir gjort.

Även vitaminer och mineraler – som zink, järn, C-vitamin och A-vitamin – har viktiga roller i sårläkningen. Vi behöver inte ge tillskott till alla, men vi bör vara uppmärksamma på tecken på brist –särskilt om läkningen inte går som den ska.

Små saker gör stor skillnad. Det är lätt att tänka att ”det där med mat får dietisten ta hand om”. Men faktum är att vi sjuksköterskor ofta har störst möjlighet att påverka – i det lilla, varje dag. Vi ser patienten, vi följer sårets utveckling, vi kan reagera snabbt och ta initiativ.

Näring är inte något vid sidan av sårbehandlingen – det är en del av

den. Genom att lyfta blicken och tänka helhet, kan vi ge kroppen bättre förutsättningar att läka. Och det gör skillnad – på riktigt.

Om en patient har ett sår som inte läker och vi konstaterar att det är ”maten” som behöver justeras – att det är den sista pusselbiten som saknas och vi lyckas med det – då är det som att vifta med ett trollspö, såret får en kick och läker oftast snabbt.

REFERENSER

1.. Weimann A et al. ESPEN practical guideline: Clinical nutrition in surgery. Clinical Nutrition, 2021.

2. Thibault R et al. ESPEN guideline on hospital nutrition. Clinical Nutrition, 2021.

3. Arensberg MB. Nutrition for healing acute and chronic wounds. Research in Practice and Nutrition, 2024.

4. Ju M et al. Role of nutrition in wound healing. ResearchGate, 2023.

5. CLWK: Nutrition Screening for Wound Prevention & Healing – Guideline for Nurses, 2024.

Malin Munter Såransvarig sjuksköterska Jönköpings kommun

Bra måltider är inte bara matglädje – de kan vara avgörande för hur snabbt ett sår läker.

SOTS

Kloka val: Frakturer runt armbågen

SOTS arrangerade under Ortopediveckan i Jönköping ett välbesökt symposium om frakturer runt armbågen med fokus på olekranonfrakturer och distala humerusfrakturer.

OLEKRANONFRAKTURER

Osteosyntes av dislocerade olekranonfrakturer hos sköra äldre med låga funktionskrav är associerade med risker. Anestesiologiskt kan riskerna överväga nyttan med även en lyckad operation. Dessutom är det rapporterat en hög andel haverier postoperativt. Framför allt tension band wiring är associerat med sekundär dislokation och haveri. Med anledning av detta har det föreslagits att stabila dislocerade olekranonfrakturer (Mayo 2A och B) hos sköra äldre >75 år väl kan behandlas icke-operativt. Det har undersökts i två relativt färska RCT (Duckworth et al. 2017, Joshi et al. 2025), båda med metodologiska brister där Duckworth et al. avbröt efter 19 inkluderade patienter pga haverier i den opererade gruppen.

Sammanfattningsvis visar icke-operativ behandling av Mayo 2A och B hos sköra äldre lovande resultat så här långt, men det återstår en del frågor och fler studier behövs.

När det gäller operativ behandling är Mayo-klassifikationen (Cabanela and Morrey 1993) fortsatt den mest användbara. För yngre individer med Mayo 2A rekommenderas behandling med klassisk Zuggertung-teknik enligt ”tension band wiring”. Detta begrepp är dock ersatt med ”cerklage compression wiring”; studier har visat att metoden fungerar men förmodligen inte genom den klassiska AO-tanken (Midtgaard 2020; Stoffel 2023). I övrigt pågår tre RCT för närmare studera val av fixationsmetod:

Cornefjord et al. 2023: The With Or Without Olecranon K-wire (WOW OK).

Cook et al. 2023: The Simple Olecranon Fracture Fixation Trial (SOFFT) protocol.

Haubjerg Qvist et al. 2024: Suture fixation versus tension band wiring in simple displaced olecranon fractures.

För Mayo 2B har en nyligen publicerad RCT (Midtgaard 2025) visat att man kan behandla dessa frakturer som vid Mayo 2A kontra operation med platta. Fler studier behövs dock. Vid instabila olekranonfrakturer Mayo 3A–B, kan i tillägg till platta, även övervägas någon slags avlastning för triceps extensionskraft (cerklage, sutur eller tape).

Ammar Jobory SUS, Malmö

DISTALA HUMERUSFRAKTURER

Den distala humerusfrakturen är en fraktur som främst drabbar patienter från 55 års ålder. Hos patienter över pensionsålder så är det nästan en trefaldig frakturförekomst hos kvinnor jämfört med män. Många av dessa patienter har en förändrad benkvalitet och det kan finnas flera frakturfragment. Med detta i vetskap, bör man ställa sig själv några frågor i strävan efter att laga frakturen:

Kan jag laga denna fraktur?

Bör jag laga denna fraktur?

I frakturkartläggningen bör man noga studera den CT-undersökning som i de flesta fall görs vid frakturer som kan vara aktuella för operativ behandling.

Finns det osteoporotiska fragment? Resorption går fort vid A-frakturer, och det distala fragmentet kan snabbt urholkas.

Kompressionszoner? Kan man desimpaktera och stabilt. fixera eller kommer fragmenten hänga i luften?

Icke-operativ behandling endast av stabila frakturer.

Då kort gipstid, ca två veckor.

Vid osteosyntes är ”best practice” en platta per pelare och plattorna bör sättas i 180-graderskonfiguration. Osteotomi är onödig när man inte behöver inspektera ledytan och innebär bara ytterligare risker i en redan skör patientpopulation.

Finns det fragment som är kraniellt felställda? Upptryckta över fossa olecrani? Är reponering och en stabil fixation möjlig om man flyttar dessa fragment i distal riktning?

Tunna koronära fragment?

I fall där trochlea är upptryckt proximalt så förekommer ofta en splittring eller delning i anteriora och posteriora. fragment över fossa olecrani. Kan dessa fixeras?

Multifragmentära intraartikulära frakturer?

Hur ska man gå tillväga för reponering och en stabil fixation som tillåter mobilisering av armbågen?

I de fall man inte kan utföra en stabil och säker fixation hos den äldre patienten bör man överväga protesersättning. Helprotes är effektiv och ett pålitligt val för distala humerusfrakturer hos äldre (McKee 2009; Dehghan 2019). Helprotes ger de flesta en välfunktionerande armbåge resten av livet. Helprotes i armbågen innebär en belastningsrestriktion på 3-5 kg livet ut, medan patienter med halvprotes (distala humerus ersätts) kan belasta fritt efter 6-8 veckor då ligamentläkning skett. De funktionella utfallen, mätt med patientrapporterade utfall, är likvärdiga efter två år (Jonsson 2024).

Så kan man laga stabilt, så lagar man. Kan man inte med säkerhet laga stabilt hos den äldre patienten, så bör man överväga protesersättning.

Jonas

Olle Wolf Ordförande SOTS Akademiska sjukhuset, Uppsala

Johan Scheer Universitetssjukhuset Linköping

Kloka val: Den degenerativa halsryggen

Degenerativa förändringar i halsryggen är en konsekvens av åldrande, de leder till förändringar i form av hypertrofi, osteofyter, förkalkningar, bennybildning samt buktande diskar och diskbråck. Tillståndet accentueras av t.ex. rökning. Följden blir förträngning av rotkanalen och/eller spinalkanalen. Detta är en långsam process och det är därför vanligt att man har stenoser som inte är symptomgivande.1

När till slut symptomen uppkommer är det i form av cervikal rizopati (CR) med utstrålande nervsmärta i armen och/eller degenerativ cervikal myelopati (DCM) med störningar i ryggmärgsfunktionen. Nacksmärta är ofta ett uttryck för degenerativa förändringar i halsryggen men behöver inte finnas vid CR eller DCM.

Incidensen för CR är 83/100 000 fördelad på 22% enbart diskbråck, 68% spondylos2 och DCM har en incidens på 26/1000 000 i Europa och 41/1000 000 i USA.3 Enligt Swespine registrerades 917 operationer för CR och 433 operationer för DCM i Sverige under 2022.4

Symptomen för CR är dermatomutbredd utstrålande smärta samt varierande grad av sensorisk påverkan, reflexbortfall och slutligen muskelsvaghet. Differentialdiagnostiken vid CR är axelsymtom eller entrapment av perifera nerver, där behov av neurografi kan finnas för diagnos. Om CR och entrapment/axelsjukdom finns samtidigt bör man behandla dessa innan man går vidare med kirurgisk behandling av CR, om detta är möjligt i det enskilda fallet. En nyanserad bedömning av symptomen är viktig då det inte finns någon objektiv mätmetod för att säkerställa CR.

Den kliniska manifestationen av DCM har ofta ett smygande förlopp där man gradvis får en påverkad funktion i extremiteter. I det tidiga skedet kan det handla om koordinationssvårigheter som kan vara svåra att diagnostisera, den klassiska bilden är att man upplever dålig balans och/eller ökad fum-

lighet. Över tid övergår den subtila bilden till en klar funktionsnedsättning i finmotoriken med svårigheter att knäppa knappar, skriva och plocka små saker samt klar påverkan i gångförmågan med svårighet att gå på rak linje och gå i terräng. Sena symptom och slutskedet av DCM medför allvarligt påverkad funktion med behov av gånghjälpmedel/rullstol, muskulär svaghet, parestesier och sfinkterdysfunktion.5

Diagnosen ställs genom en samlad bedömning av status och anamnes där hyperreflexi och Hoffmans tecken har högst känslighet vid neurologisk undersökning.6,7 MRT ger slutgiltig diagnos med nivå och omfattning. Ett poängsystem som t.ex. P-mJOA8 underlättar graderingen av DCM och kan användas för att följa progress av sjukdomen.

Konservativ behandling av CR bör provas som initial behandling, detta innefattar sjukgymnastik och smärtbehandling, där stor andel av CR patienter svarar bra och därmed inte behöver kirurgi.9 Den kirurgiska behandlingen innefattar friläggning av nervroten genom en främre tillgång, Anterior Cervical Decompression and Fusion (ACDF) men också genom en bakre tillgång Posterior Foraminotomi (PF). Båda metoderna är likvärdiga avseende kliniska utfall dock med ökad risk för reoperation på samma nervrot vid PF.10,11,12 Den stora fördelen med PF är att ingen fusion genomförs och man behåller därmed rörligheten. Indikationen för kirurgi vid CR är nervsmärta ut i arm där konservativ behandling är otillräcklig.

FAKTARUTA

Incidens CR

83/100 000

22% enbart diskbråck, 68% spondylos

Swespine ca 1000 operationer per år

Incidens DCM

26/1 000 000 i Euroa och 41/1 000 000 i USA

Swespine ca 450 operationer per år

Översikt CR

Operationsindikation: nervsmärta i arm

• Metod: ACDF eller PF

• Klinisk förbättring: ACDF 83-91%, PF 64-96%

Reoperationsfrekvens: ACDF 4-14%, PF 4-10%

Typsymptom: Smärta och sensibilitetsstörning

Översikt DCM

• Operationsindikation: funktionsnedsättning, neurologiska bortfall

Metod: ACDF/ACCF eller varianter av bakre dekompression

Typsymptom: koordinationsproblem arm/ben, svaghet

• Klinisk förbättring efter OP ca 2.6 poäng mJOA i snitt

Behandlingen av DCM lutar mer åt kirurgisk intervention i kombinationen med ”Watchful waiting” i selekterade fall då patienter med neurologiska fynd har en tendens till att progrediera över tid.13 Operation är att föredra i tidiga faser av DCM innan allvarliga funktionsnedsättningar uppstår.14 Behandlingen väljs beroende på patologin där ACDF eller corpektomi och bakre dekompression är vanligast. Muskelsparande bakre dekompression utan fusion är ett nytt alternativ till dekompression fusion som ökar i popularitet i Sverige.15,16 De operativa resultaten varierar utifrån graden av myelopati men en förbättring på + 2.7 mJOA ses på gruppnivå 1 år efter operation.17

REFERENSER

1. Boden SD, McCowin PR, Davis DO, Dina TS, Mark AS, Wiesel S. Abnormal magnetic-resonance scans of the cervical spine in asymptomatic subjects. A prospective investigation. J Bone Joint Surg Am. 1990 Sep;72(8):1178–84.

2. Radhakrishnan K, Litchy WJ, O’Fallon WM, Kurland LT. Epidemiology of cervical radiculopathy. A population-based study from Rochester, Minnesota, 1976 through 1990. Brain. 1994 Apr;117 ( Pt 2):325–35.

3. Nouri A, Tetreault L, Singh A, Karadimas SK, Fehlings MG. Degenerative Cervical Myelopathy: Epidemiology, Genetics, and Pathogenesis. Spine (Phila Pa 1976). 2015 Jun 15;40(12):E675-693.

4. Swespine Årsrapport 2024, https://www. swespine.se/uploads/2024_%C3%A5rsrapport_swespine.pdf

5. Williams J, D’Amore P, Redlich N, Darlow M, Suwak P, Sarkovich S, et al. Degenerative Cervical Myelopathy: Evaluation and Management. Orthop Clin North Am. 2022 Oct;53(4):509–21.

6. Tejus MN, Singh V, Ramesh A, Kumar VRR, Maurya VP, Madhugiri VS. An evaluation of the finger flexion, Hoffman’s and plantar reflexes as markers of cervical spinal cord compression - A comparative clinical study. Clin Neurol Neurosurg. 2015 Jul;134:12–6.

7. Hassanzadeh H, Bell J, Dooley E, Puvanesarajah V, Kamalapathy P, Labaran L, et al. Evaluation of Gait and Functional Stability in Preoperative Cervical Spondylotic Myelopathy Patients. Spine (Phila Pa 1976). 2022 Feb 15;47(4):317–23.

8. https://www.medscinet.com/swespine/ uploads/swespine-pmjoa.pdf

9. Taso M, Sommernes JH, Sundseth J, Pripp AH, Bjorland S, Engebretsen KB, et al. Surgical versus Nonsurgical Treatment for Cervical Radiculopathy. NEJM Evid. 2025 Apr;4(4):EVIDoa2400404.

10. Broekema AEH, Simões de Souza NF, Soer R, Koopmans J, van Santbrink H, Arts MP, et al. Noninferiority of Posterior Cervical Foraminotomy vs Anterior Cervical Discectomy With Fusion for Procedural Success and Reduction in Arm Pain Among Patients With Cervical Radiculopathy at 1 Year: The FACET Randomized Clinical Trial. JAMA Neurol. 2023 Jan 1;80(1):40.

11. Simões de Souza NF, Broekema AEH, Reneman MF, Koopmans J, van Santbrink H, Arts MP, et al. Posterior Cervical Foraminotomy Compared with Anterior Cervical Discectomy with Fusion for Cervical Radiculopathy: Two-Year Results of the FACET Randomized Noninferiority Study. Journal of Bone and Joint Surgery. 2024 Sep 18;106(18):1653–63.

Universitetssjukhuset Örebro

12. MacDowall A, Heary RF, Holy M, Lindhagen L, Olerud C. Posterior foraminotomy versus anterior decompression and fusion in patients with cervical degenerative disc disease with radiculopathy: up to 5 years of outcome from the national Swedish Spine Register. J Neurosurg Spine. 2019 Nov 15;1–9.

13. Karadimas SK, Erwin WM, Ely CG, Dettori JR, Fehlings MG. Pathophysiology and natural history of cervical spondylotic myelopathy. Spine (Phila Pa 1976). 2013 Oct 15;38(22 Suppl 1):S21-36.

14. Dijkman MD, van Bilsen MWT, Fehlings MG, Bartels RHMA. Long-term functional outcome of surgical treatment for degenerative cervical myelopathy. J Neurosurg Spine. 2022 May 1;36(5):830–40.

15. Shiraishi T. Skip laminectomy--a new treatment for cervical spondylotic myelopathy, preserving bilateral muscular attachments to the spinous processes: a preliminary report. Spine J. 2002;2(2):108–15.

16. Shiraishi T. A new technique for exposure of the cervical spine laminae: Technical note. Journal of Neurosurgery: Spine. 2002 Jan;96(1):122–6.

17. Tetreault L, Kopjar B, Côté P, Arnold P, Fehlings MG. A Clinical Prediction Rule for Functional Outcomes in Patients Undergoing Surgery for Degenerative Cervical Myelopathy: Analysis of an International Prospective Multicenter Data Set of 757 Subjects. The Journal of Bone and Joint Surgery-American Volume. 2015 Dec;97(24):2038–46.

DCM preoperativ och postoperativ MRT vid operation med muskelsparande skip laminektomi ad modum Shiraishi.
3D-rekonstruktion av PF.
Marek Holy Överläkare, medicine doktor

Kloka val: Behandling av axelfrakturer

“Cochrane is shit!” fick professor Stig Brorson höra under ett av sina föredrag i södra Europa när han poängterade att ortopederna i det området, tvärt emot vad evidensen säger, opererade en mycket hög andel av äldre patienter med proximal humerusfraktur. Den typen av påhopp slapp han efter Ortopediveckans symposium på ämnet.

Det var Svenska skulder- och armbågssällskapet som hade bjudit in Stig Brorson, Anne Dettmer och Anton Cederwall, alla forskare på ämnet proximala humerusfrakturer, för en timmes symposium med fokus på icke-kirurgisk behandling av denna vanliga frakturtyp.

Anton Cederwall, ortoped på SUS i Malmö, inledde med att ge en bakgrund till ämnet. Han lärde oss att definitionen av proximala humerus är en vertikal sträcka från toppen av caput och i distal riktning som är lika lång som den horisontella sträckan från caputs mediala begränsning till laterala cortex. En proximal humerusfraktur är en fraktur vars centrum ligger inom detta område. Vi fick en pedagogisk genomgång av både Neers och AO:s klassifikationssystem och en beskrivning av skadans epidemiologi. I Sverige sker ungefär 30 proximala humerusfrakturer per dag och kvinnor drabbas tre gånger så ofta som män. Det är en skada som huvudsakligen drabbar äldre, medelåldern för patienter som diagnostiserats i Malmö mellan 1944 och 2020 är 67 år.

Anne Dettmer, ortoped på Ryhov i Jönköping, tog vid och gav först en sammanställning av evidensen för samstämmighet vid klassifikation av proximala humerusfrakturer och hur den icke-kirurgiska behandling ska gå till. En studie på AO-klassifikationen och det svenska frakturregistret (SFR) visar en samstämmighet inom och mellan bedömare på 58-66% och mellan SFR och ”gold standard” på endast 44%. Även om två ortopeder klassificerar en fraktur lika är det alltså högst osäkert att det är samma sorts fraktur som åsyftas, vilket är viktigt att tänka på när olika studier ska tolkas. Vidare

finns det inga säkra evidens för att immobilisering i 4-6 veckor är bättre än 1 vecka eller att veckokontroll med röntgen behövs. Trots detta var det ingen av klinikerna representerade i auditoriet som hade vågat rationalisera bort röntgenkontrollen. Det poängterades att den sannolikt viktigaste aspekten med detta besök är att patienten ska få bra information, att se till att det finns en rehabiliteringsplan och att eventuell immobilisering sköts på ett bra sätt så att det inte utvecklas stelhet i armbåge eller hand.

Risken för utebliven läkning är förhållandevis liten efter proximal humerusfraktur men vanligare förkommande vid vissa frakturmönster. För den som vill prediktera risken för icke-läkning finns det olika modeller publicerade. Bland annat PHARON modellen som baserar sig på en studie på 2300 frakturer. Den tar hänsyn till bland annat kön, rökning och hur mycket vinklad i varus eller valgus frakturen är. Ett användbart instrument i vissa situationer.

Anne presenterade också sin egen forskning där man tillsammans med en spansk grupp prospektivt inkluderat över 700 vuxna patienter med icke-kirurgiskt behandlade proximala humerusfrakturer. De visar att fler frakturfragment enligt Neer ger sämre utfall i form av Oxford shoulder score, Constant-Murley score och smärtskala. Sämre utfall är också vanligare hos äldre patienter än hos yngre. De konkluderar att frakturklassifikation är korrelerad med utfall men trycker på att röntgen allena bara ger en fingervisning kring prognosen och att många andra patientfaktorer är minst lika viktiga.

Professor Stig Brorson från Själlands universitetssjukhus höll sedan en mycket pedagogisk genomgång av evidensläget kring behandling av proximala humerusfrakturer. En sökning på ”shoulder fractures” ger idag över 4 500 träffa på pubmed, med en stor ökning av antalet publikationer de senaste 20 åren. Den allra största andelen är okon-

Anne Dettmer, Anton Cederwall, Jonas Nordin och Stig Brorson.

trollerade serier som rör kirurgisk behandling. Ett mycket begränsat antal handlar om icke-kirurgisk behandling och det finns bara 33 stycken randomiserade kontrollerade studier där de flesta jämför olika operationsmetoder med varandra.

Totalt 13 randomiserade studier jämför operation med icke-operativ behandling och av dessa rapporterar endast tre studier bättre utfall i den opererade gruppen men där når skillnaden inte nivån för klinisk relevans (MCID). Ytterligare en studie visar en minimal fördel för kirurgi när omvänd protes jämförs med icke-kirurgisk behandling men även här är skillnaden av tveksam klinisk signifikans. Resterande studier visar ingen fördel för kirurgi. Gemensamt för denna vetenskap är att det nästan enbart är äldre patienter som inkluderats i studierna, för medelålders och yngre finns mycket begränsad evidens från randomiserade studier.

Trots att dessa studier är allmänt tillgängliga är det stora skillnader i operationsfrekvens runt om i världen. På Stig Brorsons klinik söder om Köpenhamn opereras 5% av de proximala humerusfrakturerna, i Danmark i övrigt 13%, i Sverige 17% och i Italien och Tyskland ca 50%. Hur frekvensen kan vara så hög i Sydeuropa framstår som nästan obegripligt för oss här i norr.

På Stigs klinik behandlas frakturluxationer och frakturer med klyvt caput primärt kirurgiskt. I övrigt tillämpas icke-kirurgisk behandling för alla patienter där fraktur- eller patientfaktorer gör att omvänd protes bedöms vara det kirurgiska alternativet. I praktiken innebär detta att den absoluta majoriteten av patienter över 60-65 år behandlas icke-kirurgiskt.

Patienterna kommer på återbesök för veckokontroll och vid 6 veckor. De som har mycket smärta vid det senare

Kurvor som visar incidensen av proximala humerusfrakturer i Malmö 1944-2020 uppdelat på män, kvinnor och åldersgrupper.

besöket erbjuds omvänd protes och opereras inom en vecka. Resonemanget är att det inte finns några evidens för att en omvänd protes ger bättre funktion än naturen själv kan åstadkomma även på felställda frakturer och att smärta är det viktigaste symtomet att behandla. Har patienten smärta vid 6 veckor är risken hög att det blir ett bestående problem och att använda detta som operationsindikation är ett bättre sätt att hitta ”rätt” patienter än att utgå ifrån röntgenbilder i akutskedet.

Om det här sättet att handlägga de äldre patienterna med denna vanliga fraktur är det bästa låter jag vara osagt men det är tydligt att det idag finns ett flertal randomiserade studier där ingen kan visa att någon av våra operationsmetoder slår icke-operativ behandling.

För den som vill förkovra sig ytterligare i detta spännande ämne så finns Stig Brorsons rykande färska bok ”Shoulder fractures in context” att hämta gratis på nätet.

Jonas Nordin Biträdande överläkare VO Ortopedi Skånes universitetssjukhus Malmö Sekreterare svenska skulderoch armbågssällskapet

Att välja "rätt" patienter att operera är svårt och tydliga riktlinjer saknas.
Bilden definierar proximala humerus.

Kloka val: Reposition, gipsning

och operation av barnfrakturer

Frakturer hos barn är vanligt förekommande och ger under perioder en volymsbelastning inom sjukvården. Det växande skelettet hos framför allt yngre barn har en remarkabel kapacitet till läkning och remodellering, vilket gör att många frakturer hos barn kan behandlas icke-kirurgiskt. För att kunna behandla frakturer hos barn behöver man både allmän kännedom om normal tillväxt och mera specifikt förstå de egenskaper som skiljer barnskelett från vuxna. Representanter från SBOFs styrelse belyste detta på olika vis med mål att ge vetenskapligt underlag för kloka val vid omhändertagande av barnfrakturer.

Mattias Anderson rekapitulerar hur det ursprungliga broskskelettet stegvis förbenas, vilket med ökande ålder förändrar egenskaper för läkning och mekanisk stabilitet. Hos de allra yngsta är skelettet mindre mineraliserat, mer poröst, och på så vis mer elastiskt i skadeögonblicket. Med ökande ålder ökar dimensionerna och böjstyvheten vilket kräver mer energi/ våld för att orsaka en fraktur. Skelettegenskaperna bidrar till olika skademönster i olika åldrar där metafysära frakturer är vanligast i tidiga skolår (t ex distala radius eller suprakondylär humerus) och hos det lite äldre barnet är fyseolyser, diafysära- och avulsionsfrakturer vanligare.

UNDERSKATTA INTE REMODELLERINGEN

Naturens eleganta sätt att räta upp och återställa skelettet till utgångsläget efter en skada som läkt med felställning kallas remodellering. Denna är ofta extra framgångsrik vid fysnära och metafysära frakturer men även diafysära skador remodellerar (främst hos de yngsta). Kvarvarande tillväxt är helt avgörande för remodellering men kan inte enbart bestämmas på åldern. Generellt mognar tjejer tidigare än killar men den individuella variationen är mycket stor vilket man behöver ta i beaktande vid val av behandling.

GIPSET ÄR AVGÖRANDE FÖR RESULTATET

Eftersom frakturer på armen är de vanligast förekommande visades olika exempel på behandling av fram för allt handled- och underarmsfrakturer.

Diafysära skador kräver bättre reposi-

tion och alignment men kan i många fall behandlas med cirkulärgips. Hos de äldre skolbarnen (från ca 8-9 år) är kan elastisk märgspik vara ett alternativ till långvarigT gips. Det finns en övertro till höga gipsskenor och tyvärr många exempel på väl reponerade skador som redislocerar trots hög skena. Ett klokt val är att undvika sedering med reposition om man inte behärskar gipsningstekniken. Vi behöver lära oss att lägga cirkulära, väl modellerade gipsar, för ökad stabilitet. I studier är kalk- och syntetgips ungefär lika bra men det verkar kräva en längre erfarenhet och bättre handlag för att lägga ett välsittande syntetgips. Är du tvekande är det i akutskedet därför alltid rätt att lägga kalkgips (som dessutom kostar en tredjedel av motsvarande i syntet).

FRAKTURER PÅ DISTALA RADIUS –BARNENS ”BÄSTA” KOMPIS

Evelina Pantzar-Castilla presenterade och problematiserade kring behandling av distala radiusfrakturer där mycket tyder på att vi har en tendens att överbehandla. Ett referat från Pelle Gustafsson (LÖF) kom väl till pass, ”den i särklass dyraste (och farligaste) operationen/behandlingen är den som inte behövdes men kompliceras och den näst dyraste (och farligaste) operationen/behandlingen är den som inte behövdes och inte kompliceras”. Med tanke på fantastisk förmåga att remodellera distalt i underarm behöver vi rannsaka oss och avstå kirurgi med stiftning om läget är acceptabelt i en välsittande gips. Historiska gränsvärden för vad som betraktas som acceptabelt läge kan sannolikt ökas. Finska kollegor (Laaksonen et al) har visat att dorsalt avhoppade distala radiusfrakturer läker

REFERENSER

Laaksonen T, Stenroos A, Puhakka J, Kosola J, Kautiainen H, Rämö L, Nietosvaara Y. Casting in finger trap traction without reduction versus closed reduction and percutaneous pin fixation of dorsally displaced, over-riding distal metaphyseal radius fractures in children under 11 years old: a study protocol of a randomised controlled trial. BMJ Open. 2021 May 26;11(5):e045689. doi: 10.1136/ bmjopen-2020-045689. PMID: 34039573; PMCID: PMC8160196. Grahn P, Helenius I, Hämäläinen T, Kivisaari R, Nietosvaara Y, Sinikumpu JJ, Jalkanen J, Löyttyniemi E, Ahonen M; Finnish Pediatric Orthopedic Study Group Investigators. Casting vs Surgical Treatment of Children With Medial Epicondyle Fractures: A Randomized Clinical Trial. JAMA Netw Open. 2025 May 1;8(5):e258479. doi: 10.1001/jamanetworkopen.2025.8479. PMID: 40327343; PMCID: PMC12056563.(Laaksonen et al)

och remodellerar väl om de gipsas i rakt läge. Vi väntar med spänning på resultat av en pågående brittisk randomiserad studie avseende detta. Många distala frakturer hos barn under 8 år kan sannolikt gipsas utan reposition. Traktion i t ex ”finger-traps” bidrar till bättre alignment under gipsningen. Om man reponerar ska man lägga en tight välsittande gips. Tänk på att skapa trepunkt-stöd och forma gipsen efter underarmen med cast index på 0.60.8 för god stabilitet fram till läkning. Självklart finns tillfällen då frakturer bör reponeras exempelvis vid påverkad distalstatus och högenergivåld. Och tänk på – om kontrollröntgen inte leder till etn åtgärd – fundera om röntgen behövs.

SKA VI OPERERA MEDIAL EPIKONDYLFRAKTUR?

Behandling av medial epikondylfraktur belystes av Mikael Lindell. Vi vet att non-union är vanligt men att det korrelerar dåligt med nedsatt funktion. Review-artiklar har rekommenderat både operativ och icke-operativ behandling, gränsvärden för kirurgi skiljer sig mellan olika enheter. Om fragmentet ligger i leden finns konsensus att operation ska utföras. Ulnarispåverkan anses av vissa vara en relativ indikation och graden av anterior dislokation kan i teorin påverka flexorstyrkan vilket

skulle tala för att ökad anterior dislokation ökar indikationen för kirurgi. I en finsk studie där man randomiserade ungdomar med medial epikondylfraktur mellan kirurgi och gips eller enbart gips i 4 veckor fann man efter 12 månader ingen klinisk relevant skillnad (Grahn et. al. ). Rekommendationen att man bör operera om fragmentet ligger i leden och liberalt vid ulnarispåverkan kvarstår men i övriga fall krävs en extra noggrann individuell bedömning då det är tveksamt om fixation av fragmentet gör nytta.

SHOULD THEY STAY OR SHOULD THEY GO?

Ska osteosyntesmaterial hos barn tas bort? Det är en återkommande fråga som vi efter Yasmin Hailers presentation känner oss visare kring. När frakturen eller osteotomin är läkt gör metallen inte längre nytta och i många sjukvårdssystem anses det då självklart att avlägsna implantaten. Antalet artiklar som beskriver komplikationer i samband med borttagning av osteosyntesmaterial stiger och varierar med kroppsdel men lågt räknat är komplikationsrisken ca 10%. Utöver risk för nerv- eller senskada, större sår, refraktur (om man tar bort för tidigt) är det också riskfyllt med ytterligare en narkos.

Det kloka valet är att avstå rutinmässig borttagning av symtomfria implantat. För vissa implantat och kroppsdelar kan det ändå vara klokt att planera borttagning om man ser risker för hudperforation, tillväxtpåverkan, smärtor eller förväntad ny operation i senare skede (t ex höftplattor eller elastiska märgspikar på femur).

En välreponerad fraktur i ett välsittande cirkulärgips kan förhindra operationer!

Evelina Pantzar-Castilla Mattias Anderson
Yasmin Hailer
Mikael Lindell

SEXUELL HÄLSA

Våga prata om sexuell hälsa vid ortopedisk sjukdom

1. Permission – normalisera ämnet, ställ rutinfrågor och erbjud informationsmaterial i väntrum.

Sexualitet och ortopedi nämns sällan i samma andetag – men borde göra det oftare. På Ortopediveckan 2025 belyste sexologen och socionomen Tania Karanja, verksam inom sexuell rehabilitering i somatisk specialistvård i Region Jönköpings län, hur sjukdomar och skador i rörelseapparaten påverkar patienters sexuella hälsa. Budskapet var tydligt: sexuell hälsa är en självklar del av patientens livskvalitet och något sjukvården inte bör förbise.

Enligt Folkhälsomyndigheten och WHO är sexuell hälsa ett tillstånd av fysiskt, känslomässigt, psykiskt och socialt välbefinnande. Det handlar inte bara om frånvaro av sjukdom, utan om att uppleva närhet, intimitet, tillit och njutning. Sexualiteten kan stärka självkänslan – eller vid sjukdom och skada bli en källa till oro, frustration och försämrad livskvalitet. Karanja betonade att sexualitet är en mänsklig grundfunktion, lika självklar som sömn, mat och rörelse. Därför bör vården ta upp frågan, inte undvika den.

BARRIÄR FÖR INTIMITET

För många patienter blir ortopediska besvär ett hinder i det sexuella livet. Smärta, stelhet och begränsad rörlighet

2. Limited Information – ge kort och riktad information om hur en sjukdom eller behandling kan påverka sexualiteten.

3. Specific Suggestions – ge konkreta råd, exempelvis om hjälpmedel, medicinering eller glidmedel.

4. Intensive Therapy – remittera till sexolog för specialiserad behandling, t.ex. vid erektionsproblem, smärta eller lustproblematik.

PLISSIT-modellen ovan utgör en struktur för samtalet. Den delar upp samtalet i fyra nivåer. Källa: Jack Annon, 1976.

FAKTA

Varför prata om sexuell hälsa?

Ortopediska tillstånd kan direkt och indirekt påverka sexualiteten

Förbereder patienten på konsekvenser av sjukdom och behandling

Ger möjlighet till råd, stöd och hjälpmedel

Stärker patientens livskvalitet och relationer

Tips för samtal

Normalisera – ”många upplever det här"

Använd neutralt språk

Ställ öppna frågor

• Våga låta tystnaden verka

Informera om att patienten kan återkomma

Hjälpmedel som kan underlätta

Elstyrd säng, uppresningsstöd, handtag Lyftsele, vridplatta

Kuddar, dynor, glidlakan

Glidmedel, lokala fuktgivare, vagitorier

PDE5-hämmare och andra potensläkemedel

Sexhjälpmedel vid behov

i höfter och knän kan göra rörelser svåra. Såväl kvinnor som män kan drabbas av förändrad känsel, för kvinnor även minskad lubrikation och för män erektionssvårigheter vid nervskada eller medicinering.

Även indirekta effekter spelar roll: inkontinens, fatigue, amputation eller osteoporos påverkar identiteten som sexuell

person. För många blir det en fråga om kroppsbild: ser jag mig själv som attraktiv – eller bara sjuk?

MOMENT 22 – INGEN VÅGAR BÖRJA

Patienter vill ofta att vården ska ta upp ämnet, medan personal tror att ansvaret ligger hos patienten. Resultatet blir tystnad. Enligt Karanja har vården ett tydligt ansvar: ”Vi pratar om urin, avföring och mycket annat. Att undvika sexualiteten håller inte.”

Att ämnet dessutom sällan prioriteras –på grund av tidsbrist, kunskapsbrist och osäkerhet kring remissvägar – gör att många patienter aldrig får stöd.

ATT ÖPPNA UPP SAMTALET

Karanja gav flera råd: normalisera, använd neutralt språk och ställ öppna frågor. Var inte rädd för pauser och våga återkomma om du saknar svar. Det viktiga är att frågan blir ställd. Hon betonade också värdet av att öva med kollegor: ”Ju mer vi tränar, desto tryggare blir vi.”

PRAKTISKA LÖSNINGAR I VARDAGEN

Vid långvarig smärta kan planering vara nyckeln: utnyttja effekten av smärtlindring, värme för att mjuka upp kroppen eller välj positioner som minskar belastningen.

Många befintliga hjälpmedel – elektriska sängar, uppresningsstöd, lyftselar, glidlakan, kuddar och dynor – kan också underlätta sexuella aktiviteter. Arbetsterapeuter och fysioterapeuter kan spela en viktig roll i att hitta lösningar.

SEXOLOGENS ROLL

Sexologen kan bidra med information, behandling och stöd i att återerövra känslan av sexualitet. Det kan handla om att normalisera en förändrad kroppsbild, ge råd om glidmedel eller PDE5-hämmare, eller uppmuntra patienten att utforska nya sätt att vara intim på.

Karanja berättade om möten med både unga och äldre – från tonåringar med ryggmärgsbråck till en 78-årig man som ville återfå sin sexuella funktion. Budskapet var tydligt: sexualitet angår alla, oavsett ålder och diagnos.

Linda Linnskog Rudh Redaktionschef Ortopediskt Magasin

Tania Karanja är sexolog och socionom vid länssjukhuset Ryhov i Jönköping.

Alternativ till våld

– varför vi i vården måste ställa frågan

Att möta patienter med psykisk ohälsa hör till vardagen för många som arbetar i vården. Men hur ofta ställs frågan om våld i nära relationer? Och vad händer när man faktiskt vågar?

På Ortopediveckan höll specialistpsykolog Joakim Alveglim en föreläsning om ”Alternativ till våld”, där han delade erfarenheter från sitt arbete inom psykiatri och primärvård. Två patientmöten blev för honom vändpunkter.

TVÅ HÄNDELSER SOM FASTNADE

Den första handlade om en kvinna som sökte för ångest och depression. I journalen noterades tidigare akutbesök med skador. När Alveglim frågade om hon kände sig trygg hemma berättade hon om systematiskt våld – både fysiskt och psykiskt. Med hjälp av kommunens våldsteam lyckades man ordna skyddat boende och bryta upp från en farlig situation. ”Ingen hade tidigare frågat henne hur hon hade det hemma”, konstaterade Alveglim. Den andra historien gällde en äldre man med depression. På frågan om hemmiljön framkom att hans livsutrymme hade krympt till följd av partnerns extrema svartsjuka. Även här var våldet subtilt men destruktivt – en ständig anpassning, en långsam urholkning av livskvaliteten.

VAD MENAR VI MED VÅLD?

Våld i nära relationer är inte bara slag och sparkar. Det kan handla om psykiskt våld –nedlåtande kommentarer, kontrollerande beteende, att begränsa någons kontakter eller arbetsliv. Det kan vara ekonomiskt våld, där den utsatta förlorar kontrollen över sin ekonomi. Eller sexuellt våld, där press och tjat gör att gränsen mellan samtycke och tvång suddas ut. ”Det finns ingen perfekt definition och ingen exakt mätmetod”, framhöll Alveglim. ”Men även om den fanns skulle våldet vara underrapporterat –skammen är så stark.” Den utsatta skäms för att stanna kvar, utövaren skäms för sitt beteende, och barnen vet att det är fel men tiger. Tystnaden gör att våldet kan fortsätta. ”Att dessutom undviker att ställa frågor bekräftar vi skammen och skulden”, menade Alveglim.

VARFÖR FRÅGAR VI INTE?

Vi underskattar hur vanligt det är.

Vi vet inte hur man ska fråga.

Vi är rädda för svaret.

Vi saknar tid.

Vi har förutfattade bilder om vem som kan vara utsatt.

Egna erfarenheter kan göra ämnet svårt att närma sig.

ETT UTBRETT FOLKHÄLSOPROBLEM

Statistiken visar att personer som utsatts för våld har tre gånger högre risk för en rad sjukdomar och 19 % högre årliga vårdkostnader. Våld i nära relation är därför inte bara en social problematik, utan ett folkhälsoproblem som angår alla professioner inom vården. Det sker i alla samhällsklasser och kulturer, men det syns inte utanpå.

Alveglim betonade vikten av att vi som professionella ”tål att höra om våld” och kan erbjuda stöd – både till utsatta och till förövare. Socialtjänsten har ansvar att ge behandling även till den som utövar våld. ”Att kalla någon kvinnomisshandlare hjälper inte, men man kan prata om problemet som ett beteende som går att förändra.”

HUR SKA VI FRÅGA?

En enkel inledande fråga kan vara: ”Hur är det i din relation – känner du dig trygg?” Det är ofta tillräckligt för att öppna upp. Lösningen ligger sällan hos oss ensamma, men genom att våga ställa frågan kan vi identifiera behovet och lotsa vidare till rätt hjälp.

HÄNDELSE

UPPTRAPPNING VÅLDSCIRKELN

SMEKMÅNAD

Föreläsningen tog upp den klassiska våldscirkeln: upptrappning, våld, ånger/försoning, smekmånad – och sedan upprepning. I den korta perioden efter en våldshändelse kan det finnas en öppning för förändring.

Joakim Alveglim är specialistpsykolog, Region Jönköpings län.

Våld i nära relationer är en dold men alltför vanlig orsak till sjukdom och lidande. För oss i vården – oavsett specialitet –innebär det ett ansvar att våga fråga. Att inte fråga bekräftar bara tystnaden.

Som Joakim Alveglim uttryckte det: ”Vi måste visa att vi tål att höra om våld.”

Linda Linnskog Rudh Redaktionschef Ortopediskt Magasin

Den 27 augusti hölls Svensk Ortopedisk Förenings årsmöte, där nära hundra deltagare samlades för att summera året och blicka framåt.

Anne Garland, föreningens ordförande under 2024, inledde mötet och redogjorde för verksamhetsberättelsen. SOF har idag 2003 medlemmar, varav 533 kvinnor och 1470 män. Jubileumsåret 2024 har gett kraft, men nu är jubileumsrabatterna på medlemsavgifter slut. För 2026 väntar en budget med ett positivt resultat på 7 000 kronor. Medlemsavgiften blir fortsatt 900 kr för ST-läkare, varav 150 kr går till Ortopediskt Magasin och 1400 kr för specialister, där 500 går till Acta Orthopaedica och 150 till OM.

Anne betonade att utbildnings- och forskningsfrågorna måste prioriteras ännu mer framåt. Hon lyfte också att det ortopediska kunnandet riskerar att tunnas ut i Sverige, och att forskning sätts på svältkost. ”Vi måste hålla ihop, agera både regionalt och lokalt, och inte tappa greppet om vår kärnverksamhet”, sa hon.

En återkommande diskussion var vikten av att inte tappa bort patientperspektivet. Flera lyfte hur ortopedin behöver närma sig både klinisk verklighet och forskning för att inte urholkas. Att rekrytera, utbilda och behålla nästa generation ortopeder framhölls som en nyckelfråga.

Mötet avslutades med en uppmaning till alla medlemmar att delta aktivt i utvecklingen. Frågeformulär med korta frågor inför kommande ortopediveckor ska hjälpa till att samla in medlemmarnas idéer.

SOF står på en stadig grund med över 2000 medlemmar, stark ekonomi och ett rikt vetenskapligt arbete. Men budskapet från årsmötet var tydligt: vi får inte slå oss till ro. Forskning, utbildning och samverkan måste prioriteras ännu mer för att säkerställa ortopedins framtid i Sverige.

SOFs styrelse och andra förtroendeposter

Under 2025 har styrelsen bestått av:

Maziar Mohaddes (ordförande)

Christian Carrwik (utbildningsansvarig)

Klas Edin (facklig sekreterare och vice ordförande)

Olof Sköldenberg (vetenskaplig sekreterare)

Anna Apelqvist (skattmästare)

Kajsa Thulin (kvalitetsansvarig, SPUR)

Arvid von Konow (representant för yngre ortopeder)

SOFs styrelse 2026 blir följande:

Ordförande Maziar Mohaddes - 2027

Utbildningsansvarig Christian Carrwik (omval) - 2028

Facklig sekreterare Klas Edin - 2026

Vetenskaplig sekreterare Olof Sköldenberg - 2027

Skattmästare Anna Apelqvist - 2027

Kvalitetsansvarig (SPUR) Kajsa Thulin (omval) - 2028

Repr. yngre ortopeder Meddelas senare - 2026

Representanter i Svenska Läkaresällskapets fullmäktigeförsamling 2026 blir:

Ordinarie: Maziar Mohaddes Christian Carrwik Klas Edin Olof Sköldenberg

Kajsa Thulin Anna Apelqvist

Suppleant: Representant för yngre ortopeder

Revisorer 2026 blir:

Ordinarie Ulf Sennerby

Yohan Robinson

Suppleant Olof Wolf

Valberedning 2025 blir:

Nils Hailer (sammankallande) - 2026

Malin Zimmerman - 2027

Anne Garland - 2028

Godkända på årets Ortopedexamen.

Ortopedexamen 2025 – rekordår

SOF:s utbildningsansvarige Christian Carrwik redogjorde för årets Ortopedexamen. Den skriftliga delen genomfördes 21 mars med rekordmånga 44 deltagare. Hela 41 godkändes. Den muntliga delen hölls på Ortopediveckan med 41 deltagare och två patientfall. Resultatet blev att 33 deltgagare blev godkända direkt, två underkändes och sex deltagare får göra en mindre komplettering på hemmakliniken innan de får sitt diplom. Ett av momenten – att gipsa en metakarpalfraktur – visade sig svårare än väntat. ”Vi trodde det var enkelt, men många måste hem och träna mer på gipsning”, konstaterade examinatorn.

Ett stort grattis till:

Erik Jansson Palmer, Östersund

Emil Hjort Persson, Skaraborgs sjukhus

Elias Tullberg, SÖS

Amanda Kutscher, Jönköping

Jacob Rasmussen, Falun

Ida Larusson, Falun

Sophie Dahl, Växjö

Lisa Clark, Capio S:t Göran

Victoria Örtenwall , Varberg

Jabbar Mohammed, Uppsala

Danyal Baytoon, Sollefteå

Jakob Backstad, Västervik

Marielle Frånberg, Capio S:t Göran

Viktor Mili-Schmidt, Danderyd

Hussein Ali Agha, Hässleholm

Erik Bergvall, Karlskrona

Luka Hrkac, Norrköping

Sandra Näverlo, Lycksele

Johan Norqvist, Östersund

Marcel Roslin, Norrköping

Dlshad Majeed Qadir, NU-sjukvården

Erik Lerjefors, NU-sjukvården

Kasri Aldur, Norrköping

Anette Jönsson. SUS

Malena Bergvall, Växjö

Alicia Avdic, SUS

Mona Mili-Schmidt, Uppsala

Gustav Sidemo, SUS

Johanna Lundin, Alingsås

Linnea Arvidsson, SUS

Pontus Christersson, Uppsala

Sofie Stenvall, Umeå

Gustav Malmholm, Helsingborg

Simone Andersson, Västervik

Linda Sandberg, Umeå

Alexander Ossinger, Uppsala

Anton Touma, Södertälje

Hasan Bitar, Alingsås

Lisa Stolth, Kalmar

Kommande ortopediveckor

Nästa år hålls mötet i Stockholm (vecka 37, inte 35 som tidigare), på Karolinska i Aula Medica.

Temat blir Forskning, utbildning och samverkan – med fokus på hur vi kan fatta kloka kliniska beslut, säkra kvaliteten i utbildningen för både ST-läkare och specialister, samt utveckla samarbetet mellan professioner och mellan offentlig och privat vård. 2027 väntar Kalmar, med Gustav Karsten som general. Temat knyts till stadens stolthet: Bron. Uppsala föreslås som värd för 2028 – senaste gången var 2013 – då med stor framgång.

Stipendier 2025

SOF:s forskningsstipendium (30 000 kr)

Viktor Mili-Schmidt, för arbete med tre olika internationella och nationella kliniska prövningar inom övre extremitetskirurgi.

Link Swedens höftstipendium (30 000 kr)

Johan Simonsson, för en fellowship i Norge för att fördjupa sina kunskaper inom höft- och knäproteskirurgi.

Reumatikerförbundets patientsäkerhetsstipendium Södersjukhuset för arbetet med prevention och behandling av akut konfusion vid höftfraktur.

SOF:s resestipendium Olof Westin

EBOT-examen

Jan Kabath

Hedersledamot 2025

En höjdpunkt var utnämningen av ny hedersledamot, Cecilia Rogmark, Skånes universitetssjukhus, Lunds universitet.

I sitt tacktal betonade hon att framgången bygger på samarbete: ”Jag hade inte stått här om jag arbetat ensam.” Samtidigt riktade hon en skarp uppmaning om att värna forskningen och stå starka som läkarkår.

Årets SOF-ortoped

Henrik Düppe, Skånes Universitetssjukhus

Motiveringen lyder: Årets SOF-ortoped utmärks av en ovanlig kombination av kirurgisk skicklighet, klinisk skärpa och genuin empati för barn och deras familjer. Han är en trygg förebild i operationssalen, där han lugnt och metodiskt hanterar även de mest komplicerade situationer. Som mentor delar han generöst med sig av sin kunskap och låter yngre kollegor växa, alltid med patientens bästa i fokus. Årets SOF-ortoped förenar professionalism med karisma och värme, och har blivit en ovärderlig inspirationskälla för flera generationer ortopeder.

SOFs Utbildningspris

Lars Adolfsson, Linköpings universitetssjukhus

Motiveringen lyder:

Utan att armbåga sig fram har årets pristagare bidragit till att göra sin klinik till en av de främsta i landet inom sitt område. Med stadig hand har han under årtionden utbildat dagens och framtidens ortopeder inom övre extremitetens skador och sjukdomar. Årets utbildare 2025 har gjort en insats för svensk ortopedi som blir svår att axla.

Årets avhandling 2024

I år korades Elsa Pihl, Danderyds sjukhus, till vinnare med avhandlingen Proximal hamstring avulsions: surgery or not? bland åtta inskickade bidrag.

Motiveringen lyder: Avhandlingen utmärks av hög vetenskaplig kvalitet, klinisk relevans och tydligt nyhetsvärde – en forskningsinsats som redan fått internationell genomslagskraft och som kommer att påverka ortopedisk praxis framåt.

Cecilia Rogmark tar emot utmärkelsen av SOF:s ordförande Maziar Mohaddes.
Henrik Düppe.
Lars Adolfsson.
Elsa Pihl.
Karl-Åke Jansson och Asle Hesla presenterar Stockholm 2026.

Plötsligt rusade Jönköpings egen mötegeneral Birgitta Ekstrand Lagerqvist in på scenen och anslöt till Grebbans som stod för kvällens underhållning. Klockrent!

Varning på stan!

I år blev det bankett på onsdagskvällen, och konferenshallen förvandlades till en festlig partylokal på bara några timmar.

God mat, glada samtal och skratt gjorde kvällen till en fröjd – för att inte tala om underhållningen. Duon Grebbans var bekant för några i arrangörsgänget sedan tidigare, och de visste precis vad de gjorde när de bokade in dem till årets Ortopedibankett. Anna Rockenstierna (vi gissar att namnet är taget) inledde med en makalös imitation av Janis Joplin – blundade man för ett ögonblick var det som att stå på Woodstock 1969.

Kvällen genomsyrades av duons musik och energi. Samtidigt som varmrätten dukades av, försvann vår mötesgeneral diskret från honnörsbordet. Sekunden senare ökade tempot på scenen när duon drog igång med Magnus Uggla – och plötsligt stod han där, livs levande ... eller? Håret, solglasögonen, skinnpajen – allt stämde. Eller kanske inte! Birgitta Ekstrand Lagerqvist kan utan tvekan dubbla som Magnus Uggla! Jublet ville aldrig ta slut.

bankettgästerna att vara lite mer som Emil i Lönneberga: Göra lagom med hyss och våga göra kloka val (som Emil efter en stund i snickarboa också fick göra). Och traditioner är som gärdsgårdar, påminde Maziar – de håller ihop gemenskapen, men måste lagas och justeras när tiderna förändras.

Det blev en minnesvärd bankettkväll, fylld av värme, skratt och kollegial glädje. Banketten sätter verkligen guldkant på våra Ortopediveckor.

När Grebbans körde ACDC som final höll taket på att lyfta!
Verksamhetscheferna från Eksjö, Värnamo och Jönköping utbringade ett skål.
Linda Linnskog Rudh

Sammanställning av SPUR 2024

Enligt Socialstyrelsens krav ska kvaliteten i specialiseringstjänstgöringen granskas och utvärderas av en extern aktör, det bör ske vart femte år och sker vanligen med hjälp av SPUR-inspektion. Om granskningen eller utvärderingen visar att det finns brister, ska vårdgivaren åtgärda dessa.

Syftet med granskningen är att ST-läkarna ska erbjudas en likartad och jämn utbildning oavsett på vilken klinik i landet utbildningen bedrivs. Kvalitetsgranskningen genomförs av utbildade inspektörer som alla är ortopedspecialister. Kraven på ST-utbildningen utgår från Socialstyrelsens föreskrifter och allmänna råd samt specialitetsföreningarnas kriterier för god utbildning.

Sammanställning av SPUR 2024

med tidigare år. Det beror sannolikt inte på att ST blivit så mycket sämre eller att de orter som inspekterades 2022 är så mycket bättre än de som inspekterades 2023 och 2024. Däremot innebär den nya checklistan och de vägledningar som SPUR-inspektörerna har till respektive punkt en hel del förtydliganden vilket gör det svårare att få bock i rutan. I år var även Tjänstgöringens upplägg bristande på flera orter. Här brast ofta de skriftliga riktlinjerna för hur målbeskrivningen ska uttolkas samt styrande dokument för tjänstgöringens upplägg. På flera ställen saknade ST-läkarna också IUP (individuellt utbildningsprogram).

Enligt Socialstyrelsens krav ska kvaliteten i specialiseringstjänstgöringen granskas och utvärderas av en extern aktör, det bör ske vart femte år och sker vanligen med hjälp av SPUR-inspektion. Om granskningen eller utvärderingen visar att det finns brister, ska vårdgivaren åtgärda dessa. Syftet med granskningen är att ST-läkarna ska erbjudas en likartad och jämn utbildning oavsett på vilken klinik i landet utbildningen bedrivs. Kvalitetsgranskningen genomförs av utbildade inspektörer som alla är ortopedspecialister. Kraven på ST-utbildningen utgår från Socialstyrelsens föreskrifter och allmänna råd samt specialitetsföreningarnas kriterier för god utbildning.

I och med den nya författningen för ST som började gälla 2021 har SPUR tagit fram en ny checklista, denna infördes 1 april 2023. Under 2024 genomfördes 10 SPUR-inspektioner. Bedömning sker fortsatt enligt gradering A-D (se faktaruta). Sedan den nya checklistan infördes har antalet som landar på gradering D ökat. 2022 var det ingen klinik som landade på gradering D där åtgärder krävs. 2023 var det flera kliniker som fick ett eller flera D och därmed behövde skicka in en åtgärdsplan för hur man ska arbeta annorlunda för att möta de krav som finns i ST-utbildningen. Om åtgärdsplan skickas in och godkänns landar graderingen automatiskt på C (det går inte att få högre). 2024 var det liksom föregående år flera kliniker som graderades D. I tabellen ses inom parentes de som fått D, men sedan uppgraderats till C efter godkänd åtgärdsplan.

Gällande punkten Ledarskapskompetens och kommunikativ kompetens så hade studierektorerna ett möte i samband med Ortopediveckan där detta diskuterades. Detta sammanfattas i separat artikel. Förhoppningsvis kommer dessa diskussioner generera förbättringar framöver på landets ortopedkliniker gällande utbildning och utvärdering av dessa kompetenser.

I och med den nya författningen för ST som började gälla 2021 har SPUR tagit fram en ny checklista denna infördes 1 april 2023. Under 2024 genomfördes 10 SPUR-inspektioner.

Bedömning sker fortsatt enligt gradering A-D (se faktaruta). Sedan den nya checklistan infördes har antalet som landar på gradering D ökat. 2022 var det ingen klinik som landade på gradering D där åtgärder krävs. 2023 var det flera kliniker som fick ett eller flera D och därmed behövde skicka in en åtgärdsplan för hur man ska arbeta annorlunda för att möta de krav som finns i ST-utbildningen. Om åtgärdsplan skickas in och godkänns landar graderingen automatiskt på C (det går inte att få högre). 2024 var det liksom föregående år flera kliniker som graderades D. I tabellen ses inom parentes de som fått D, men sedan uppgraderats till C efter godkänd åtgärdsplan.

I tabell 1 framkommer att de områden där det är svårast att uppfylla föreskrift och allmänna råd är Handledning och uppföljning, Teoretisk utbildning samt Ledarskapskompetens och kommunikativ kompetens. Det skiljer sig inte från tidigare år, men det är fler kliniker som landade på D jämfört

FAKTARUTA, GRADERING

A. Socialstyrelsens föreskrifter och allmänna råd följs. Övriga kvalitetskriterier är uppfyllda, men enstaka undantag kan förekomma.

B. Socialstyrelsens föreskrifter och allmänna råd följs.

C. Socialstyrelsens föreskrifter följs. Allmänna råd följs i väsentliga delar men brister förekommer. Åtgärder rekommenderas.

D. Brister har påvisats vad gäller följsamheten till Socialstyrelsens föreskrifter. Åtgärder krävs.

Kajsa Thulin SPUR- och Kvalitetsansvarig, SOF

Nu är vi kalibrerade

När man är SPUR-inspektör så behöver man kalibreras varje år. Minst en gång om året. Detta för att vi inspektörer ska bedöma förutsättningarna för ST-utbildning lika och inte göra olika tolkningar av regelverk och krav. Om man inte deltar i åtminstone ett av två erbjudna kalibreringsmöten under året så får man helt enkelt inte vara SPUR-inspektör längre.

Kvalitetsansvarig i SOF och SPUR-samordnare erbjuder dessa möten varav ett alltid sker under Ortopediveckan. Här får inspektörerna diskutera och gnugga frågeställningar i bedömningar. Här finns utrymme för dialog om allt från konkreta exempel där man kanske varit oense om tolkning och bedömning till återkoppling från verksamheterna kring hur nöjda de varit med inspektionerna. Tacksamt nog så verkar de flesta inspekterade ortopedkliniker mycket nöjda med SPUR och har ofta inte bara fått en bedömning utan också konkreta förslag på hur man kan förbättra ST-utbildningen lokalt.

En fråga som återkommit några år nu, är handledning under handledning. I tabellen ser man att några enstaka sjukhus lyckas med att få godkänt, medan de flesta inte klarar kraven. När detta krav inte uppfylls behöver en åtgärdsplan lämnas in till SPUR. Genom detta förfarande har man nu fått in många bra exempel på hur man kan lösa knuten med handledning under handledning. OM funderar på att presentera ”idé-banken” i nästa nummer.

Vi ses vid nästkommande SPUR-inspektion, för vi som deltog i mötet är nu inte bara uppdaterade, utan även kalibrerade!

Grigorios Griorigadis, Trollhättan

Thomas Karlsson, Uppsala

Bálint Zsidai, Malmö

Simon Larsson, Hudiksvall

Alex Maxqvist, Uppsala

Myella Cederholm, Värnamo

Louise Fredriksson, Mariestad

Anna Ludvigsson, Nödinge

Lukas Lindeberg, Gävle

Keven Yosief, Eskilstuna

Eren Murat, Örebro

Gulnur Utemissova, Örebro

Lotta Husell, Jönköping

Astrid Pekkari, Karlstad

Filip Appelkvist, Norrköping

Liza Bodén, Helsingborg

Adele Kastensson, Stockholm

Simon Svedman, Stockholm

Ludvig Andersson, Gällivare

Maja Bergfelt, Ystad

Matilda Lindström, Eksjö

Maria Hedlund, Sundsvall

Ella Niemi, Luleå

Axel Sahlin, Ljungby

SOF:s

Anatomica AB Bolshedens Industriväg 20 427 50 BILLDAL

Kontakt: Sverker Stomberg sverker.stomberg@ anatomica.se www.anatomica.se

Arthrex Sverige AB Textilgatan 43 120 30 STOCKHOLM Kontakt: Johan Karlsson johan.karlsson@arthrex.se www.arthrex.se

DePuy Synthes Kolonnvägen 45 170 67 SOLNA Tfn: 08-626 22 00 info.se@synthes.com www.depuysynthes.com

Episurf Europe AB Karlavägen 60 114 49 Stockholm

Kontakt: Veronica Scholz Castro nfo@episurf.com www.episurf.com

Heraeus Medical AB Vasagatan 28 111 20 Stockholm

Kontakt: Eva Norrbin eva.norrbin@heraeus.com www.heraeus-medical.com

Link Sweden AB Box 180 184 22 AKERSBERGA

Kontakt: Gunilla Eriksson link.sweden@linksweden.se www.linksweden.se

Sara Botö, Göteborg

Casper Hammarstrand, Göteborg

Elias Hallberg, Halmstad

Lovisa Eriksson, Gävle

Sam Kashani, Trollhättan

Johanna Bergström, Kungälv

Lars Korsnes, Östersund

Sofia Jakobsson, Uppsala

Niklas Löwbeer, Örebro

Ali Naji, Västerås

Angelica Ljungman, Nyköping

Krenare Mehmeti, Örebro

Oskar Larsson, Kungälv

Deborah Shako, Kristianstad/ Hässleholm

Kevin Olsson, Karlstad

Ludvig Lindqvist, Falun

Morgan Wallhem, Norrköping

Peo Wästberg, Eksjö

Ib Green-Petersen, Uppsala

Hanna Åberg, Östersund

Jacob Forsberg, Uppsala

Cecilia Rönnfjärd, Karlshamn

Linvatec ConMed AB Datavägen 10 D 436 32 ASKIM Kontakt: Sofia Palomaa sofiapalomaa@conmed.com

Sectra Orthopaedics AB Teknikringen 20 583 30 LINKÖPING Kontakt: Ulrika Vach ulrika.vach@sectra.se www.sectra.com

Smith & Nephew AB Krokslättsfabriker 39 431 37 MÖLNDAL

Kontakt: Thomas Weine Tfn: 031-746 58 00 www.smith-nephew.com

Zimmer Biomet Sweden AB Industrivägen 4 433 61 SÄVEDALEN

Kontakt: Jenny Stokke jenny.stokke@ zimmerbiomet.com www.zimmerbiomet.com

Ottobock Scandinavia AB Box 4041 169 04 Solna

Kontakt: Anett GrusserPettersson anett.grusser-pettersson@ ottobock.se www.professionals.ottobock.se

Stryker AB Långhusgatan 5B 215 86 MALMÖ Kontakt: Åsa Svanberg asa.svanberg@stryker.com www.stryker.com

Lyckad världskongress i Sverige

International Society for Prosthetics and Orthotics (ISPO) grundades 1974 i Danmark med uppdraget att förbättra livskvaliteten för alla som kan dra nytta av proteser, ortoser och hjälpmedel.

ISPO Sverige (www.ispo-s.se) verkar i linje med det uppdraget. Visionen är en värld där alla har samma möjlighet att delta fullt ut i samhället. Den internationella organisationen verkar för detta genom att främja tvärvetenskaplig samverkan, forskning och evidensbaserad praktik samt bidra till utveckling av innovativ teknik. En central del av ISPOs arbete är att skapa internationella nätverk och underlätta kunskapsutbyten.

En viktig mötesplats för kunskapsutbyten är ISPOs världskongress som arrangeras vartannat år av olika medlemsföreningar. Kongressen samlar tusentals deltagare från hela världen. Den 16-19 juni i år stod Stockholm för första gången värd för kongressen – och hela 3500 deltagare kom!

VÄGEN TILL STOCKHOLM

Planering av en världskongress är ett stort åtagande. Tillsammans med representanter för ISPO medlemsföreningar i Sverige, Norge, Storbritannien och Nederländerna bildades en samverkansgrupp för att lämna in en gemensam ansökan. Gruppen kallades North Sea Group efter vår gemensamma geografiska position. Redan 2018 påbörjades arbetet med den officiella ansökan om att stå värd för kongressen 2023. Som ett led i detta samarbete arrangerade gruppen flera nationella evenemang där vi samarbetade i planering och genomförande. Ansökan beviljades 2019, men pandemin 2020-21 gjorde att kongressen fick skjutas fram två år. Det blev istället 2025 som den 20:e världskongressen för ISPO fick genomföras i Stockholm, Sverige.

Under åren fram till 2025 fortsatte samarbetet inom North Sea Group och blev en stabil grund för planering och organisering inför kongressen. Gruppen som senare utgjorde den lokala planeringskommittén för kongressen (Local Organizing Committee) genomförde möten och hade givande diskussioner om hur vi tillsammans skulle kunna samarbeta kring att organisera andra konferenser och kurser. Detta samarbete var inspirerande och kommer att fortsätta även efter kongressen.

INVIGNINGSCEREMONI

Invigningsceremonin hölls i Viktoriahallen på Stockholmsmässan den 16:e juni. Inbjudna gäster och deltagare kunde lyssna till både Knud Jansen-föreläsningen av Ritu Ghosh för hennes arbete med Mobility India, samt till Chritoffer Lindhe som höll IC2A:s inspirerande föreläsning (www.ispo-congress.com). Därefter invigdes utställningen, följt av det vetenskapliga programmet.

Första dagen avslutades med en välkomstmottagning. I sann midsommaranda bjöds deltagarna, genom våra Masters of Ceremony, Lisa Gramnäs och Nisse Bergstrand, till traditionell dans runt midsommarstången med Folkdansgillet Kedjan. Det var dans, lekar och mycket skratt när deltagare från hela världen dansade små grodorna.

EN MINNESVÄRD KVÄLL I STADSHUSET

Under tisdagskvällen bjöd Stockholms stad och Region Stockholm in till en mottagning i Stadshuset där en möjlighet att fortsätta att knyta kontakter även utanför mässan erbjöds. Det bjöds på en väl tilltagen buffé med klassiska svenska rätter såsom köttbullar och sill, kombinerat med moderna inslag. Till efterrätt serverades smulpaj med vaniljsås.

Det blev en mycket minnesvärd kväll, då deltagare från hela värden kunde strosa runt i Blå hallen och Gyllene salen och inspireras av Stadshusets fantastiska atmosfär och dess arv som lokal för Nobelfesten. Det blev också ett tillfälle för våra internationella gäster att lära sig mer om Stockholms historia och det var många som dröjde sig kvar så länge som möjligt i den vackra byggnaden.

KONGRESSEN I SIFFROR OCH RESULTAT

Under fyra intensiva kongressdagar samlades 3500 personer från närmare 100 länder. Det fanns 192 utställare från 33 länder vilket gjorde utställningen till en central och uppskattad plats för utbyten av kunskap, innovationer och nya samarbeten. Det vetenskapliga programmet var omfattande: 10 parallella sessioner med free-papers, symposier och tekniska presentationer fyllde de fyra kongressdagarna. Cirka 500 talare deltog i programmet, vilket vi alla är mycket stolta över.

Helhetsintrycket av kongressen blev mycket positivt både av deltagare och arrangörer. Genom de sociala aktiviteterna

Mottagning och efterföljande middag i Stockholms stadshus. Bild: Marcus Nilsson.

Välkomstmottagning. Bild: Leipziger Messe | Tom Schulze.

Utställningen. 3200 deltagare från 100 länder, 192 utställare. Bild: Leipziger Messe | Tom Schulze.

En liten bransch med stor gemenskap

Vad händer när vetenskap möter beprövad erfarenhet, tradition möter teknik och en midsommarstad blir scenen för global innovation inom rehabilitering?

Det var ISPOs inledande frågeställning i sin sammanfattning på ISPO World Congress hemsida efter kongressdagarna i juni. Jag blev ombedd att för Ortopediskt Magasin skriva ihop en sammanfattning av ISPO-dagarna i perspektivet relevant för mig som kliniker, men hur sammanfattar man fyra dagars världskongress i återberättande text? Efter att ha frågat runt bland både f.d. och nuvarande kollegor om deras upplevelse och höjdpunkter insåg jag att även om vi uttryckte oss med olika ord så hade vi ungefär samma upplevelser. Jag fastnade dock vid något en klok vän nämnde, hon ville gärna lyfta känslan som ISPO gav att vi är många runt om i världen som varje dag hjälper människor till en bättre vardag. Jag hade inte kunnat säga det bättre själv.

Invigningsceremonin. Bild: Leipziger Messe | Tom Schulze. och det vetenskapliga programmet fick gästerna uppleva det bästa av både den internationella ortopedtekniska gemenskapen och värdstaden Stockholm.

Local Organizing Committee och de enskilda ISPO medlemsföreningarna från Sverige, Norge, Storbritannien och Nederländerna riktar ett varmt tack till alla som bidrog till att göra kongressen möjlig. Vi hoppas och tror att kongressen har stärkt ortopedteknik i Sverige nu och i framtiden.

Under avslutningsceremonin dagen före Midsommarafton delades priser ut, kongressledningen avtackades och platsen för nästa världskongress offentliggjordes: Välkomna till Bangkok i Thailand 22-25 mars 2027!

ISPO-Sveriges styrelse: Anton Johannesson, Liselotte Hermansson, Isabella Gigante, Gert-Uno Larsson, Hanna Löwén, Igor Pinéu, Maria Runesson, David Rusaw, Michael Ceder, Andreas Ingemarsson

Mässan gav en viktig möjlighet till att möta såväl nya som gamla bekantskaper. Bild: OTB.

Vet ni, det är så otroligt roligt med större konferenser! Man ska aldrig underskatta behovet att träffas interkollegialt i branschen. Möten och utbyten där vi kan låta idéer konfrontera kollegors tankar samt att ges möjlighet att ta del av den globala marknaden på ett sätt som vi i den kliniska vardagen inte alltid hinner eller kan förkovra oss i. Vi behöver umgås och få möjlighet att mingla med de olika utställarna, träffa gamla bekantskaper och lära känna nytt folk med samma brinnande intresse för branschen.

Därför är den här typen av forum så viktiga. Vi vill prata, fråga, klämma, känna, vända, vrida, bända, knäcka… (ja det händer det också). Vi vill få insikt i hur andra arbetar och hur det kanske varierar i olika länder. Det ger inspiration att utvecklas och för att utvecklas behöver vi processa idéer och utmanas.

Vi brottas ofta i den kliniska vardagen med återkommande diskussioner om att vi är en liten bransch och att det ibland är svårt att få övriga vårdkedjan att se den funktion vi fyller i svensk sjukvård, att vi måste hävda vår plats och tydliggöra vår profession. Samtidigt är vi överens att branschen skriker efter fler, underbemanning är vanligt och bollarna är många. Resultatet blir att vi släcker bränder, springer på olika bollar med en känsla av att ’spring fortare eller förlora’. Jag tror många skriver under på en vardag där tiden inte riktigt finns till det där som behövs för personlig utveckling och vi fastnar lite i det vi är bekväma med, man blir hemmablind. Vi behöver helt enkelt bli effektivare.

ISPO-dagarna gav en förvissning att vi är på god väg. Mässhallen var enorm och utställarna representerade ortopedtekniken från hela världen. Handen på hjärtat… det var kanske ingen monter som presenterade något innovativt livsomvälvande när det gäller nya hjälpmedel. Däremot var dom flera som presenterade smarta applikationer och tillverkningsmetoder med syfte att förenkla den kliniska vardagen. AI och 3D-printing var den breda gemensamma nämnaren och förhoppningsvis är det den förändring vår bransch behöver. Vi är på väg ifrån ett arbetssätt som varit väldigt hands-on och erfarenhetsberoende till att jobba med snabbare, intuitiva system och mer repetitiva tillverkningssätt. Det kan vara det som är nyckeln till snabbare och på sikt kostnadseffektivare processer.

En annan erfarenhet som en nuvarande kollega lyfte från dagarna var insikten hur mycket det faktiskt forskas inom vår bransch. Vi pratar ofta i det kliniska arbetet att det inte finns så mycket evidens som stöder det ena eller det andra men jag tror vårt fokus i de fallen är felriktat. Vi diskuterar en specifik produkt och funderar över dess evidens när det egentligen är produktens funktion som borde vara i fokus. Funktion i relation till funktionsbortfall och biomekanik, det är vår expertis.

Helt uppenbart finns det mycket evidens i vår bransch. Personligen fastnade mitt intresse särskilt på den föreläsning gällande neuroteknik och möjligheten att utveckla system som kan återställa funktioner hos personer som drabbats av neurologiska funktionshinder. Att med implanterbar teknik för perifer stimulering kunna återställa viss sensorisk kommunikation, otroligt intressant och banbrytande om det blir verklighet i vår bransch. Det vetenskapliga programmet var gediget och vi gavs möjlighet att ta del av studier, projekt, free-papers, posters m.m. Man inser att det är inte bara det objektiva med dubbelblinda randomiserade studier som har betydelse i den kliniska vardagen, även det subjektiva i form av case-studies och beprövad erfarenhet gör förändring för vår målgrupp. Det är det som är innebörden att hjälpa människor, att förändra förutsättningarna för människor med funktionsbortfall till en bättre vardag. Det är vi många runt om i världen som gör varje dag.

Sammanfattningsvis kan man väl säga att även om vi ofta pratar om att vår bransch är liten så har dessa dagar visat på motsatsen och vi kan gå därifrån med en känsla av att vara något globalt och stort.

En fullsatt föreläsning om nya digitala verktyg för den kliniska vardagen. Bild: Marcus Nilsson.

Svensk midsommar och ortopedteknik i en udda symbios

Sommaren försvann som vanligt med rasande fart men jag hoppas att ni alla fick lite tid för vila och återhämtning. Under midsommarveckan var Sverige epicentrum för ortopedteknik då ISPO:s världskongress hölls på Älvsjömässan i Stockholm och där jag hade förmånen att delta som representant för styrelsen i SOIF.

Kongressen var välfylld med över 3 500 deltagare, betydligt fler än senast i México. På uppdrag av SOIF och Ortopediskt Magasin fanns även två ”spanare” på plats för att snappa upp allt – från utställningen till intressanta föreläsningar och seminarier. Mer om detta kan ni läsa här bredvid. Ett stort tack till dessa kollegor för de fina reportagen.

Temat för kongressen var “Science in Practice – Practice in Science” där ny teknologi blandades med praktiska erfarenheter, forskningsresultat med vardaglig problemlösning och framför allt möten mellan människor med olika bakgrunder, alla med ett gemensamt syfte: att förbättra livet för dem som lever med funktionsnedsättning.

En tydlig tråd under kongressen var ”hållbarhet”, inte bara ekologisk utan även social och ekonomisk. Flera föreläsare försökte svara på hur vi kan leverera ortopedtekniska lösningar som fungerar över tid – för individen, samhället och i samklang med naturen. Och visst, det går!

Men kongressen handlade inte bara om teknik, forskning och hållbart ansvarstagande. Organisationskommittén hade lagt ned stor möda på att visa upp något specifikt som representerar Sverige lika mycket som Ikea och Volvo – vår midsommartradition. Det började redan vid den högtidliga invigningen där blomsterkransar, musik och folkdans skapade en atmosfär av gemenskap och förväntan. Midsommartemat fortsatte första kvällen då vi bjöds på mingel i utställningen där leverantörerna blandades med deltagare som glatt dansade till dragspel. Det kändes verkligen att vi var i Sverige!

En annan höjdpunkt var den officiella mottagningen i Stockholms stadshus kvällen därpå. Att kliva in i Blå hallen där Nobelfesten hålls varje år var speciellt. Kvällen bjöd på uppsluppen stämning med god mat och socialt umgänge. Jag lyckades till och med lura i några asiatiska kollegor lite svensk midsommarsill, dock med blandade reaktioner!

När jag lämnade kongresscentret sista dagen var jag trött men nöjd med att ha fått med mig nya insikter, kontakter och framför allt en påminnelse om varför vi gör det vi gör. ISPO 2025 i Stockholm blev verkligen ett möte mellan vetenskap och praktik med den svenska midsommaren i fokus.

Slutligen vill jag rikta ett tack till er tappra medlemmar som var på plats under årsmötet. Tillsammans lyckades vi få ihop en komplett styrelse vilket känns bra. Dessutom vill jag särskilt tacka två eldsjälar som lämnade sina uppdrag i samband med årsmötet –Vendela Adolfsson som under lång tid deltagit i styrelsens arbete, och Jenny Utbult som i flera år fungerat som kontaktperson mellan SOIF och OM.

Per Källvant Ordförande SOIF

1. Sinovial® HL IFU, February 2023

Sinovial ® HL

Evidensbaserad smärtlindring för dina artrospatienter 1

Upptäck Sinovial® HL – en intraartikulär hyaluronsyrabehandling för mild till måttlig artros (OA) som återskapar synovialvätskans naturliga funktion.1

• Långvarig smärtlindring – kliniskt dokumenterad effekt i upp till 6 månader.2

• Hög koncentration av hyaluronsyra (3,2%)1 – särskilt lämpad för patienter utan aktiv inflammation.

• Välstuderad behandling – med stöd av flera publicerade kliniska studier.2,3,4,5

Vill du veta mer eller boka ett besök?

Skanna QR-koden för att boka ett möte med din lokala IBSA-representant och få veta hur Sinovial® HL kan bli en del av dina behandlingsalternativ vid artros.

2. Migliore A, Blicharski T, Plebanski R, et al. Knee osteoarthritis pain management with an innovative high and low molecular weight hyaluronic acid formulation (HA-HL): A randomized clinical trial. Rheumatol Ther. 2021;8:1617-1636. doi:10.1007/ s40744-021-00363-3.2.

3. Papalia R, et al. Hybrid hyaluronic acid versus high molecular weight hyaluronic acid for the treatment of osteoarthritis in obese patients. J Biol Regul Homeost Agents. 2017;31(4 Suppl 2):103–109.

4. Papalia R, Zampogna B, Russo F, Torre G, De Salvatore S, Nobile C, et al. The combined use of platelet-rich plasma and hyaluronic acid: prospective results for the treatment of knee osteoarthritis. J Biol Regul Homeost Agents. 2019;33(2 Suppl 1):21–28.

5. Papalia R, et al. Comparing hybrid hyaluronic acid with PRP in end-career athletes with degenerative cartilage lesions of the knee. J Biol Re

Sveriges ortopediprofessorer träffades 22-23 maj i Rimforsa strand för ett Professorsnätverkmöte. Detta görs varje år och syftet är att stärka den akademiska ortopedin genom erfarenhetsutbyte och strategisk samverkan inom utbildning, forskning, etik och medicinteknik.

Nya krav i grundutbildningen –ortopedins roll i EPA-systemet

Professor Björn Rosengren från Lund presenterade det nationella arbetet med att implementera EPA (Entrustable Professional Activities) i det nya legitimationsgrundande läkarprogrammet. EPA innebär att läkarstudenter ska kunna utföra definierade kliniska aktiviteter självständigt från dag ett efter examen. Ortopedin har utmaningar att möta vad gäller handledning, bedömning och undervisningsresurser – men också möjlighet att stärka sin position i läkarutbildningen. Diskussion fördes kring nationellt samarbete, gemensamma fall, OSCE-stationer och examinationsstöd.

Olof Sköldenberg redogjorde för den pågående översynen av etikprövningslagen, där flera förändringar föreslås. Bland annat diskuteras möjligheten till så kallad fakultativ, det vill säga frivillig, etikprövning för vissa studier där patienterna lämnar informerat samtycke. Det skulle kunna omfatta exempelvis enkätstudier inom ortopedi.

Utredningen föreslår även att lokala etikprövningskommittéer etableras vid regioner och universitet, något som väckt frågor och synpunkter. Lagändringarna kommer därför sannolikt inte att träda i kraft vid årsskiftet som tidigare planerat, utan senareläggas.

Ola Rolfson lyfte det akuta behovet av stabil finansiering för ortopediska kvalitetsregister. Dessa är oumbärliga för både forskning och kvalitetsutveckling, men riskerar att dräneras om de inte knyts tydligare till vårdens kunskapsstyrning och nationella programområden.

Olof Sköldenberg och Maziar Mohaddes presenterade planerna på att grunda en nationell forskningsfond för ortopedi, inspirerad av Barncancerfonden. En ideell stiftelse ska möjliggöra oberoende, peer-reviewbaserad finansiering av kliniknära och tekniskt avancerad ortopedisk forskning. Lansering planeras till 2026.

Kristian Samuelsson gav en bred och tekniskt initierad presentation om AI:s roll i ortopedi, från bildanalys och operationslogistik till prediktiv skadeprevention. AI kan redan idag förutsäga idrottsskador baserat på rörelsemönster, identifiera patologiska förändringar innan symtom uppstår, och bistå i beslutsstöd för patientflöden. Han varnade också för ett etiskt glapp: när AI tydligt överträffar människan kan det snart bli oetiskt att inte använda teknologin.

Anna Lefevre Skjöldebrand (Swedish Medtech) beskrev hur implantatindus-

trin påverkas av globala handelskonflikter, MDR-regelverket och komplexa leveranskedjor. EU planerar tullsanktioner mot kinesiska produkter, vilket kan påverka tillgång och pris. 3D-printing av metalliska implantat har teknisk potential, men ännu stora regulatoriska hinder. Återanvändning av engångsprodukter bör endast tillämpas i krislägen.

Cecilia Rogmark avslutade mötet med ett angeläget föredrag om ökande förekomst av vetenskapligt fusk, särskilt genom så kallade "paper mills" som tillverkar hela forskningsartiklar för försäljning. Problemet finns även i legitima tidskrifter och påverkar ortopedisk litteratur, särskilt retrospektiva studier med för perfekta data. Hon betonade behovet av vaksamhet, särskilt hos reviewers och handledare.

Nästa års möte hålls i Göteborg under maj 2026 under värdskap av professor Ola Rolfson.

Jörg Schilcher Professor Linköpings Universitet

Gruppfoto taget utanför Rimforsa Strand, 23 maj 2025, efter avslutningen av mötet. Från vänster till höger: Kristian Samuelsson, Magnus Tägil, Hans Tropp, Paul Ackerman, Ola Rolfson, Kalle Eriksson, Björn Rosengren, Carl Johan Tiderius, Isam Atroshi, Cecilia Rogmark, Kenneth Jonsson, Sead Crnalic, Olof Sköldenberg, Jörg Schilcher och Adad Baranto.

FORTE Summer School

i Split 19-23 maj

FORTE Summer School? Något ni hört talas om? Inget jag kände till innan mitt engagemang i Epifysen uppmärksammade mig på denna årliga kurs riktad mot ST-läkare från hela Europa.

FORTE är en 20 år gammal förening med målsättning att främja blivande ortopedspecialisters utbildning och skapa kontakter över landsgränser. Sedan tio år arrangeras en årlig kurs för blivande specialister, summer school, i samarbete med nationella ortopedsällskap. Arrangörsorten är ansvarig för kursen två år i följd. Jag fick delta i kursen som Epifysens representant och delar med mig av mina intryck.

Kursen pågick fem dagar med två parallella program dagligen. Ett program var mer fallinriktat, som arrangören kallar Exam preparation course och det andra traditionella föreläsningar, Comprehensive review course. Föreläsningspassen var enbart 15 minuter långa och varje dag hade båda programmen samma ämne. Det gavs dessutom en eller två Key Note lectures dagligen. Drygt 100 ST-läkare deltog i kursen med en övervikt av deltagare från sydeuropeiska länder, Grekland, Balkan, Italien, Frankrike, Spanien, Portugal. Jag var enda svensk och tillsammans med en finsk kollega var vi bara två från Norden.

Fakulteten var imponerade stor varav hälften var kroatiska ortopeder och resterande från övriga Europa. Jag deltog nästan uteslutande i Exam preparation course då jag är under sista året av min specialistutbildning och detta program vände sig mer mot de som var snart färdiga ortopeder. Första kursdagen började lite trevande med Basic science som tema på förmiddagen och Axel och armbåge under eftermiddagen. Lite varierande kvalitet på de första föreläsningarna och avsaknad av moderatorer eller tidsdisciplin gjorde att programmet halkade efter hopplöst mycket, så dagen blev väl lång.

Resterande dagar flöt undervisningen bättre och höll hög kvalitet. Vi blev undervisade inom samtliga ämnesområden som färdig specialist ska be-

härska. Behandlingstraditionerna som undervisades i var överlag överensstämmande med mitt intryck av våra svenska. Tydligast att kliniskt tankesätt och förhållande till gällande vetenskap skiljer sig mellan Sverige och Sydeuropa var under den ryggkirurgiska förmiddagen. Sydeuropéerna tror fortsatt på instrumentering vid kirurgi av degenerativa tillstånd och degenerativ ”instabilitet” något vi på nordligare breddgrader slutat med.

Höjdpunkter på programmet var de längre föreläsningarna, Key Note lectures. Fransmannen David H. Dejour berättade om sitt eget arbete med MRIbaserad klassifikation och behandlingsalgoritm vid patellainstabilitet och trochleadysplasi. Använd MPR verktyg och MR undersökning som nästan alltid finns, avstå från ytterligare radiologi, planera för kirurgi om nödvändigt!

Holländaren Niek van Dijk höll en interaktiv föreläsning där han gav åhörarna chansen att välja ämne ur hans expertisområde, ankel- och fotkirurgi, som var trevlig att lyssna på.

Utöver det kliniska/vetenskapliga programmet var kursen trevlig socialt. Alla kursdeltagare bodde på samma hotell några kilometer utanför stadskärnan. Samtliga måltider ingick i kursen så det blev lite internatkänsla över det hela.

Denna känsla förstärktes av att man inkvarterades i delade hotellrum, själv fick jag dela rum med en grekisk kollega verksam i Bern. Har man möjlighet att åka en vecka på kurs nästa vår rekommenderas denna kurs (2026 i Catanzaro). Självklart kan man som alternativ åka på andra vetenskapliga föreningars årsmöten och kongresser, ibland finns det en pre-course dag riktad till ST-läkare. ST-skolan i all ära men ska svenska ortopeder framgent hållas sig à jour med vad som händer i övriga Europa och sprida de behandlingsprinciper som vi tror på, så är det bra att korsa landsgränser för spännande möten och kurser!

Niek van Dijk och artikelförfattaren.

David H. Dejour föreläser.

Morgonlöpning.

LÄSTIPS FÖR DIG SOM TRÄFFAR PATIENTER MED PATELLAINSTABILITET

Dejour, D.H., Sanctis,E.G., Müller, J.H., Deroche, E., Pineda, T.,Guarino, A. et al. (2024) Adapting the Dejourclassification of trochlear dysplasia fromqualitative radiograph‐ and CT‐based assessments to quantitative MRI‐based measurements. Knee Surgery, Sports Traumatology, Arthroscopy, 1–14.https://doi.org/10.1002/ ksa.1253914 | ADAPTING THE DEJOUR CLASSIFICATION

Erik Jansson Palmer ST-läkare Östersund

Fortbildning – självklart för läkare, eller?

I nästan alla europeiska länder är fortbildning för läkare obligatorisk – 28 av 31 har infört krav på regelbunden kompetensutveckling. Sverige är ett undantag, tillsammans med Malta och Portugal. Under ST-utbildningen finns en tydlig utbildningsplan, men när läkaren blir specialist upphör strukturen – utbildning blir plötsligt frivillig. Det leder till stora skillnader i fortbildningsmöjligheter mellan regioner och arbetsplatser.

Svenska Läkaresällskapet (SLS) anser att fortbildning är avgörande för vårdkvalitet och patientsäkerhet Fortbildningsfrågan har prioriterats och diskuteras nationellt.

VÄSTRA GÖTALANDSREGIONEN (VGR) – ENDA REGIONEN I SVERIGE MED EN ORGANISATION FÖR FORTBILDNING AV SPECIALISTLÄKARE?

Västra Götalandsregionen (VGR) har har sedan 2007 ett etablerat regionalt fortbildningsråd (RFR) med studierektorer från 17 specialiteter. Rådet har som uppdrag att säkerställa specialistläkares fortbildning utifrån ett kvalitets- och patientsäkerhetstänkande. Detta innebär bland annat att genomföra utbildningsprogram för specialistläkare i regionen inom respektive specialitet. Syftet är att säkerställa att specialistläkare får relevant och aktuell kompetensutveckling.

VISOK – VIDAREUTBILDNING AV SPECIALISTLÄKARE INOM ORTOPEDISK KIRURGI

Inom ortopedi har VGR tagit ett extra kliv med satsningen VISOK – Vidareutbildning av Specialistläkare inom Ortopedisk Kirurgi. Sedan 2020 har Katarina Nilsson Helander varit regional studierektor, och har tillsammans med Louise Théen, som från årsskiftet ersatts av Kim Gerdén, byggt upp ett strukturerat utbildningsprogram.

Åtta gånger om året erbjuds utbildningstillfällen för specialistläkare från hela regionen, inklusive privata vårdgivare och grannregioner. För att underlätta deltagande erbjuds hybridmöten, men fysisk närvaro krävs för att samla CPDpoäng (Continuous Professional Development). Utbildningarna främjar både kunskapsutveckling och nätverkande mellan sjukhus.

FINANSIERING OCH STRUKTUR

Kliniker i VGR och Halland betalar en abonnemangsavgift som ger fri tillgång till utbildningarna. För externa deltagare gäller en högre avgift per tillfälle. Sahlgrenska Universitetssjukhusets (SU) ortopedi, är organiserad i subspecialiserade team – Trauma, Protes, Rygg, Fot, Tumör, Barn, Artro, Barn-

trauma och Handkirurgi – vilket möjliggör både djupgående och breda utbildningar. Vissa team återkommer årligen andra vart annat år under en fyra-årsperiod.

Vissa tillfällen är teamövergripande, vilket främjar samarbete mellan subspecialiteter. Temadagar fokuserar på specifika ämnen som exempelvis ortopediska infektioner och koagulation. År 2025 kommer att avslutas med ett större utbildningstema: Masstrauma, i samarbete med regionala studierektorer från anestesi, kirurgi och traumakirurgi.

REGIONAL ORTOPEDUTBILDNING

Under 2024 arrangerades åtta utbildningstillfällen, fördelade mellan vår- och hösttermin. Föreläsare kom från SU, andra sjukhus och externa experter. Varje tillfälle, med undantag av två temadagar, utgick ifrån ett specifikt team – från akuta ryggskador till barnortopedi – och innehållet var både engagerande och kliniskt relevant.

Exempelvis behandlade ryggteamet frakturer i hals-, bröst- och ländrygg samt tillstånd som cauda equina-syndrom. Traumateamet övre/nedre fokuserade på armbågen respektive tibia kondyl-/pilonfrakturer. Infektionsdagen tog upp biofilm och antibiotikastrategier, medan fotteamet fördjupade sig i hallux valgus och operationsmetoder. Koagulationsdagen belyste läkemedel och blodets koagulation, med konkreta fall från kirurgi och anestesi. Protesteamet presenterade statistik från Svenska Ledprotesregistret och diskuterade operationsmiljö. Året avslutades med barntrauma, inklusive internationella inslag från barnsjukvård i Dallas.

HUR MYCKET FORTBILDNING FÅR SPECIALISTLÄKARE?

För att kartlägga faktisk fortbildning genomförde RFR en pilotstudie 2022, där ortopedi var en av fyra deltagande specialiteter. Målet var att se om läkare når ambitionen om två veckors fortbildning per år (80 CPD-poäng). Deltagarna registrerade sina aktiviteter i ett excelblad, men svarsfrekvensen blev endast 41 %. Universitetssjukhuset hade högre deltagande än övriga sjukhus, men variationen var stor.

Från vänster: Louise Théen, Katarina Nilsson Helander och Kim Gerdén.

Tema: Masstrauma

Kursledare: David Hengst, Jacob Holmqvist, Martin Flygare, Dominika Högberg och Katarina Nilsson Helander

Datum: Torsdag-fredag 11-12 december

Plats: R-aulan, Mölndals sjukhus

Tema: Tumör

Kursledare: David Wennergren

Datum: Fredag 14 november kl. 08.30-14.15

Plats: R-aulan, Mölndals sjukhus

Tumör

VISOK 2025

Trauma

Masstrauma

Västleden/Protes

Tema: Västleden

Kursledare: Georgios Tsikandylakis

Datum: Torsdag 16 oktober kl. 13.00-17.00

Plats: Aida, Hotell Opera Nils Ericsonsgatan 23, Göteborg

Tema: Extensorsenskador, handläggning, infektion, nervskador och 3D-diagnostik

Kursledare: Peter Axelsson

Datum: Fredag 19 september kl. 08.30-14.15

Plats: R-aulan, Mölndals sjukhus

Tema: Axelskador och andra tillstånd

Kursledare: Vladislavs Gordins

Datum: Fredag 31 januari kl. 08.30-14.15

Plats: R-aulan, Mölndals sjukhus

Artroforum Akut barnortopedi

Trauma nedre extremitet

Handkirurgi

Tema: Senskador

Tema: Barntrauma

Kursledare: Ebba Fridh

Datum: Fredag 28 februari kl. 08.30-14.15

Plats: R-aulan, Mölndals sjukhus

Tema: Höft- och fotledsfrakturer

Kursledare: Per Hulenvik

Datum: Fredag 28 mars kl. 08.30-14.15

Plats: Ginsten, Mölndals sjukhus

Kursledare: Katarina Nilsson Helander

Datum: Fredag 25 april kl. 08.30-14.15

Plats: R-aulan, Mölndals sjukhus

Årshjul för 2025 visas här som exempel. Åtta gånger om året erbjuds utbildningstillfällen och under fyra år ska varje läkare ha gått igenom samtliga åtta utbildningar, därefter börjar cykeln om.

Studien visade behovet av mer struktur och uppföljning. Ett förslag är att införa en granskningsmodell liknande SPUR, som används inom ST-utbildningen, även för specialistnivån.

LEDNINGSBESLUT – FORTBILDNING BLIR OBLIGATORISK

Ledningsgruppen för verksamhet Ortopedi på SU har beslutat att alla ortopedspecialister ska delta i minst två utbildningar per år. Under fyra år ska varje läkare ha gått igenom samtliga åtta utbildningar, därefter börjar cykeln om. Utbildningarna schemaläggs och endast fysisk närvaro räknas. Chefer på andra sjukhus i VGR har informerats, och responsen har varit positiv.

FORTBILDNING – EN INVESTERING I FRAMTIDEN

Fortbildning är inte bara personlig utveckling – det är en investering i vårdens kvalitet och säkerhet. VGR:s satsning, med VISOK som exempel, visar att strukturerad och engagerande fortbildning är möjlig. Genom teamutbildningar, temadagar, praktiska övningar och samverkan mellan sjukhus stärks både individen och vården. Pilotstudien har visat behovet av struktur, och ledningsbeslutet på SU är ett viktigt steg. När fortbildning blir en självklar del av arbetsvardagen, bygger vi en starkare och säkrare ortopedi – tillsammans.

Vi vill passa på att rikta ett stort tack till alla föreläsare och deltagare som bidrar till lärorika och inspirerande utbildningstillfällen.

Katarina Nilsson Helander Överläkare, docent

Regional studierektor för specialistläkare i ortopedi i VGR

Louise Théen Enhetschef

Ledningsstöd ortopedi, verksamhet Ortopedi, SU

Kim Gerdén

Administrativ koordinator

Ledningsstöd ortopedi, verksamhet Ortopedi, SU

Skicka in din avhandling!

Är du en av dem som la fram en ortopedisk avhandling under 2025? I så fall är det en god idé att sända den till Svensk ortopedisk förening och därmed vara med och fajtas om utmärkelsen Årets avhandling (och prissumman 30 000 kr), som utses under Ortopediveckan 2026.

I år fick Elsa Pihl utmärkelsen med sin avhandling: Proximal hamstring avulsions: surgery or not?

SÅ HÄR ANSÖKER DU

Skicka in 1 exemplar av din avhandling i tryckt format till SOF:s vetenskapliga sekreterare: Professor Olof Sköldenberg, Ortopedmottagningen, Danderyds sjukhus, 182 88 Stockholm (märk gärna kuvertet med ”Bästa avhandling”).

Skicka avhandlingen som digital pdf till vetenskaplig-sekreterare@ortopedi.se

Skicka en kort populärvetenskaplig sammanfattning samt en faktaruta (max 3500 tecken inkl. ev. en väsentlig tabell eller figur) och en porträttbild på dig själv samt din fullständiga titel och arbetsplats till SOF:s kansli sofkansli@ortopedi.se för publicering i Ortopediskt Magasin.

För publicering i Ortopediskt Magasin 1 är deadline 15 feb. För publicering i Ortopediskt Magasin 2 är deadline 10 maj.

Fot

Är det riktigt klokt?

Jomenvisst, kampanjen kloka kliniska val (KKV)1 är vital för vården, mot bakgrunden av den samtidiga över- och underbehandlingen, ineffektiviteten och ojämlikheten; inte minst inom ortopedin där under senare år de äldsta och sjukaste alltmer knuffas bort från operationsborden: för ASA 3-4 finns ingen valfrihet.

Men det finns flera andra aspekter som bör vägas in: trots dagens alla tillkortakommanden, så har aldrig de kirurgiska/medicinska resultaten varit så bra som idag. I den rika världen, som KKV naturligt nog fokuserar på. Vi har lite av ”embarras de richesse”, dvs alltför många goda saker att välja mellan, samtidigt som alla hälsoekonomiska system – i Malmö som i Malawi – är ransoneringssystem. Men Malmö har 6,4 läkare per tusen invånare, Malawi 0,02.

Dessutom dominerar demografin – det globala åldrandet – bilden i rika länder. Delvis på grund av ”freden, vaccinet och potäterna” som Esaias Tegnér skrev på 1800-talet. I Sverige kommer antalet 80+ att fördubblas. Medelåldern i Malawi är 18 år.

På Ortopediveckan i Jönköping anförde man den multisjuka Esther som exempel. Med sina halvdussin diagnoser och ännu fler mediciner hade hon aldrig platsat i någon klinisk prövning. Det finns därför ingen evidensbaserad vård för våra storkonsumenter.² Det är en av anledningarna till att dagens riktlinjer inte förmår täcka den bistra kliniska verkligheten. Ett en-diagnos-perspektiv duger inte längre.

Ett exempel är riktlinjerna för hypertoni, som nyligen diskuterats i Läkartidningen, ett strikt följande av riktlinjerna skulle få stora undanträngningseffekter.³ Ett annat är att det inte finns resurser för primärvården att bentäthetsmäta och utreda 90 000 fragilitetsfrakturer per år – de flesta med låg risk för fler frakturer – medan de med högst frakturrisk inte får någon osteoporosbehandling alls i Sverige, till skillnad från Norge.⁴ Ett tredje är att 10–15 % av skolpojkarna får amfetamin utskrivet. Klokt?

Även om vårdens syfte inte primärt är ekonomiskt, så har kostnader spetsiga etiska och moraliska aspekter. Att sedan en del av vården är mycket lönsam nationalekonomiskt skadar inte i argumentationen för att få en rättvisare och mer rationell användning av resurserna – som till skillnad från behoven är begränsade. Utan att vara pompös efterlyser Pompe därför mer etos och patos i diskussionen, speciellt som det går att räkna i kronor och ören, men regelrätta health economic assessments skadar inte.

För övrigt anser Pompe att vi i vården måste länka journaler och register. Det gäller livet.

REFERENSER

1. Googla ”sls kkv”

2. Watts G. Why the exclusion of older people from clinical research must stop. BMJ 2012; 344: e3445. 2012/05/23. DOI: 10.1136/bmj.e3445

3. Googla ”hypertoni våga prioritera”

4. Googla ”faggruppe for osteoporose”

Turn static files into dynamic content formats.

Create a flipbook
Issuu converts static files into: digital portfolios, online yearbooks, online catalogs, digital photo albums and more. Sign up and create your flipbook.