Ortopediskt

i Kristianstad
![]()

i Kristianstad


Revisioner av höftproteser och framför allt av femurkomponenten fortsätter att vara en av de svåraste utmaningar som ortopedkirurgen möter. Arcos-systemets design uppfyller de krav som ställs av komplexa ingrepp genom att erbjuda exceptionell kirurgisk:
Intraoperativ flexibilitet • Noggrannhet • Effektivitet • Enkelhet
För mer information om Arcos-systemet besök biomet.com eller ring 040 669 70 00 © 2010 Biomet Orthopedics, Inc. Alla varumärken häri ägs av Biomet, Inc eller dess dotterbolag om ingenting annat anges. Rubik’s Cube ® används med tillstånd av Seven Towns Ltd www.rubiks.com. 0092.0 RW arcswed biomet.com • 040 669 70 00


Redaktion
Medlemstidskrift för Svensk Ortopedisk Förening och Sveriges Ortopedingenjörers Förening.
Ortopediskt Magasin utkommer 4 ggr/år 2012 vecka 13, 23, 40 och 52. Manus till redaktionen senast sex veckor innan respektive utgivningsvecka.
Ansvarig utgivare:
Professor Li Felländer-Tsai, Ortopedkliniken, Karolinska Universitetssjukhuset, 141 86 Stockholm, tel 08-585 821 02, fax 08-585 822 24, e-post sofkansli@ortopedi.se
Redaktion:
Docent Anders Wykman, Ortopedkliniken, Helsingborgs lasarett, tel 042-406 10 57, fax 042406 24 06, e-post anders.wykman@skane.se Fackredaktör Börje Ohlsson, 0417-310 26. epost: borje@ortopedisktmagasin.se
Ortopedingenjör Magnus Lilja, SOIF, Gjuterigatan 9, 553 18 Jönköping, tel 070-667 06 76 e-post m.lilja@ossur.com
Specialistläkare Karin Bernhoff, Ortopedkliniken, Akademiska sjukhuset, Uppsala, tel 018611 00 00, fax 018-50 94 27, epost karin.bernhoff@gmail.com
Specialistläkare Ola Rolfson, Sahlgrenska Universitetssjukhuset, Mölndal, tel 031-342 10 00, fax 031-87 23 53, epost ola.rolfson@vgregion. se
Redaktionsadress:
Ortopediskt Magasin, Box 89, 273 22 Tomelilla, 0417-310 26, fax 0417-312 61. e-post: borje@ortopedisktmagasin.se
Hemsida: www.ortopedisktmagasin.se
Hemsida SOF: www.ortopedi.se
Manuskript och annonser skickas till redaktionsadressen ovan.
Prenumeration (ej SOIF) SOF:s kansli, Tuna Industriväg 4, 153 30 Järna, tel. 08-550 390 50, fax 08-550 104 09, e-post sofkansli@ortopedi. se.
Prenumeration:
4 nr 150:– per år för medlemmar. Övriga 200:– per år.
Annonspriser:
För prisuppgifter, övriga uppgifter eller annan information, samt bokning av annonser: Mikael Törneman, tel 073-22 93 222, epost mikael@ortopedisktmagasin.se. Bokning senast fyra veckor innan respektive utgivning. Lämning av annonsmaterial senast tre veckor innan respektive utgivning. Rabatt 10% vid bokning av fyra annonser samtidigt. Upplaga: 2.000 ex.
Tryck:
Centraltryckeriet, Ystad. Nr. 3 2012. ISSN 0349-733X
FOTO:Ortopediveckan.

Unga
Medarbetare i detta nr:
Olle Svensson, olle.svensson@orthop.umu.se Li Felländer-Tsai, li.tsai@karolinska.se Magnus Karlsson, magnus.karlsson@med.lu.se Anders Wykman, anders.wykman@skane.se Karin Bernhoff, karin. bernhoff@gmail.com Anne Garland, anne.garland@akademiska.se Hans Mallmin, hans.mallmin@ akademiska.se Börje Ohlsson, borje@ortopedisktmagasin.se Eva Samnegård, eva.samnegard@ki.se, Michael Ullman, michael.ullman@michael.ullman@vgregion.se Mikael Sansone, mikael.sansone@ vgregion.se Mattias Ahldén, mattias.ahlden@vgregion.se Páll Jónasson, pall.jonasson@vgregion.se Jon Karlsson, jon.karlsson@vgregion.se Leif Swärd, leif.sward@me.com Hanna McShane, Johan Sandberg, Gunnar Hägglund, gunnar.hagglund@med.lu.se Rolf Norlin, rolf.norlin@orebroll.se Anders Ekelund, anders.ekelund@capio.se Jan Nowak, jan.nowak@skulderkliniken.se Joanna Kvist, Johan Kärrholm, johan.karrholm@vgregion.se

Gå som vanligt utan närmare eftertanke, bakåt och framåt, ibland fort, ibland sakta, gå uppför och nedför trappor, kliva över hinder och sitta avspänt – detta är en dröm för protesbärare som knäledssystemet Genium kan uppfylla.
Nya funktionen OPG (optimerad fysiologisk gång) gör att kraftansträngningen och behovet av koordination för brukaren minskar betydligt, särskilt vid gång i sluttningar eller på ojämnt underlag.
Andra uppskattade egenskaper är:
• induktiv laddning av protesen
• interaktiv fjärrkontroll
• fem inställbara extralägen
• batteridrifttid på fem dagar
• upp till 150 kg brukarvikt


Ortopediveckan i Kristianstad var en pyramidal succé. SOF tackar varmt Ewald Ornstein och samtliga medarbetare. Nästa år styrs kosan mot Uppsala, den eviga ungdomens stad, där temat passande nog är den åldrade ortopediska patienten. Se trailern för SOF 2013 på www.ortopedi.se!
Den åldrande befolkningen kommer att ställa stora krav inte bara på ortopedin utan på hela sjukvården!
Vinster och privatiseringar i landet lagom
Pengarna räcker inte. Därför är förändringar och strukturomvandlingar ofta nödvändiga för att skapa effektivare resursutnyttjande i sjukvården. Men är det då rimligt att stoppa skattebetalarnas surt förvärvade pengar rakt i gapet på riskapitalister? Pengar som behövs i sjukvården!
Magnus Henrekson (innehavarare av Jacob Wallenbergs forskningsprofessur i ekonomi med särskild inriktning på det svenska näringslivets utveckling och den ekonomiska politiken) är chef för Institutet för Näringslivsforskning.
I tidskriften Respons Nr 2, 2012 målar han med hög precision en beskrivning av svensk samtidshistoria. Jag kan varmt rekommendera artikeln ”Vinster och privatiseringar i landet lagom”.
Åter till den åldrade patienten. Förra året fick svenska skattebetalare stifta bekantskap med brutal kapitalism. Frånvaro av medmänsklighet lyftes gång på gång fram i den mediala bevakningen av missförhållanden på riskkapitalägda äldreboenden.
De bakomliggande kapitalisterna flög bortom sedvanlig radarhöjd och fanns vare sig på Stockholmsbörsen eller på Stureplan utan i diverse skatteparadis.
Goda och dåliga affärer
Vinster på 30 gånger inköpspriset fyra år efter förvärv av offentliga vårdinrättningar har givit Sverige några fler ”minioligarker” samtidigt som dessa utförsäljningar utgör amatörmässigt dåliga affärer för skattebetalarna.
Det har varit en snabb resa sedan 1980-talet då regeringarna tog vissa initiativ som möjliggjorde privata alternativ. Mellan 1991-1994 fattades sedan de avgörande besluten för att möjliggöra skattefinansiering av enskilda alternativ.
Privata utförare har nu fått full kraft. Vårdföretag som Attendo, Ambea och Aleris har cirka 12 000, 10 300 respektive 7 000 anställda. Det skandalomsusade Carema har en skattefinansierad omsättning på cirka 6,2 miljarder kronor. Det pågår en intensiv diskussion kring hur man skall lagstifta kring de idag fullt lagliga räntesnurrorna inom välfärdssektorn. Räntesnurror som lagliggjordes för att stimulera export inom svensk verkstadsindustri för flera dekader sedan.
Sjukvården – en kvasimarknad
Den offentligfinansierade vårdarenan utgör en kvasimarknad. Och på just kvasimarknader har så kallade trovärdighetsvaror de största problemen. Trovärdighetsvaror utmärks av att producenten vet mer än konsumenten om dess behov.
Konsumenten har svårt att själv bedöma behoven och producenten kan här överdriva eller underdriva konsumentens behov. Kvalitetsuppföljningar iklädda forskningskostym kommer här att bli hårdvaluta. Styrningen av kvalitetsregistren och SKL:s Öppna jämförelser blir ödesfrågor för sjukvårdsinrättningar och vårdproducenter. Och frågan om att följa upp resultaten på individnivå nu när doktorer verkar hos flera vårdgivare kommer säkerligen att bli en hetare potatis.
I den rådande situationen får vi dock inte glömma de problem som offentlig produktion kan dras med; frånvaro av morötter och piskor samt blinda fläckar för betydelsen av incitament. Att titrera fram ett system utan övervinster och kvalitetsbrister är en angelägen fråga för både ortopedin och övriga medicinska specialiteter.
Li FELLäNDER-TSAi

Inte en afghan i stan!
Sålunda svarade korsriddare Persson i det klassiska lundaspexet Djingis Kahn på frågan om hur det hade varit i Kabul, Afghanistan. Hårda bud med andra ord. Det har det alltid varit: ingen har lyckats besegra afghanerna: perser, hunner, makedonier, romare, tsarryssland, röda armén eller nu senast NATO.
Inte heller generalmajor William Elphinstone. Han är en stark pretendent på den illustra titeln den mest inkompetente av alla generaler någonsin i Brittiska imperiet.
1842 fick han hela sin armé bokstavligen hackad i småbitar av Akbar Kahn. En överlevde, assistant surgeon William Brydon. Han lyckades rida i säkerhet efter sabelhugg i huvudet, och på frågan om vad som hade hänt med armén svarade han: ”I am the army”.
Afghanerna knöt också upp svansen på röda armén.
De vräkte knark över de redan odisciplinerade sovjet-soldaterna som då demoraliserades totalt. (Afghanistanområdet har i dag byggt upp flera av de
segra militärt av geopolitiska orsaker. När inte ens Djingis Khan lyckades, hur ska då ÖB Sverker Göransson kunna tukta talibanerna?
Visserligen bygger Sverige fina flickskolor, men talibanerna spränger dem naturligtvis på studs.
mer framstående knark-producenterna i världen).
De fick också hjälp av senatorn Charlie Wilson. I Charlie´s war, en sevärd film med Tom Hanks, visas hur den gode senatorn, bestört över de grymheter - bl. a. försåtminerade leksaker och godsaker som röda armén lagt ut - oroligt frågade hur man kunde hjälpa till med sjukhus och andra humanitära åtgärder. Han fick till svar att det enda man ville ha var moderna vapen. Sagt och gjort. Miljarder dollar rustade afghanerna till tänderna. Pikant nog tjänade förre vicepresidenten Dick Cheyney en bra hacka på vapenhandeln. SAM-robotar sänkte de sovjetiska attackhelikoptrarna och gjorde talibanerna osårbara i sina fjärran bergspass och grottor. Mr. Wilson blev sedan mycket besviken - och vem kan gestalta denna sinnesstämning bättre än Tom Hanks? - när det visade sig att det sedan var hart när omöjligt att vigga kongressen på pengar att bygga upp landet efteråt.
Av alla meningslösa krig förefaller det senaste Afghanistan-kriget vara ett av de mer meningslösa, nästan i samma klass som det första världskriget. Afghanistan går helt enkelt inte att be-
En effekt är att Afghanistan-kriget polariserat det politiska landskapet och raderat alla måttfulla politiska element. Det kommer att ta flera generationer att korrigera. Risken för polarisering var en anledningarna att general Eisenhower, ÖB i Västeuropa under andra världskriget, och senare president i USA, vägrade att ge sig in Vietnam och Mellanöstern. I stället la han pengarna på infrastruktur, utbildning, dammar, kanaler och motorvägar. Han litade helt enkelt inte på sina tidigare militära kollegor.
I sina memoarer beklagade han de kommande presidenterna som han inte trodde skulle orka hålla emot guldgalonernas krav på ständigt ökande resurser. Bara de direkta ekonomiska kostnaderna för USA:s krig i Irak och Afghanistan sedan 2001 är ofattbara 1,4 1012 $.
De reella - för att inte tala om de humanitära kostnaderna - är många storleksordningar högre. Som den hårdföre franske politikern George ”Tigern” Clemenceau sa: ”Krig är för viktigt för att lämnas till generalerna”.
För övrigt anser Pompe, som har fänriks avsked från den svenska armén, att de ortopediska registren bör slås samman.
Läs gärna på: www.sydsvenskan.se/lund/jubilarerfrossar-i-djingis-khan en.wikipedia.org/wiki/1842_retreat_ from_Kabul www.imdb.com/title/tt0472062 costofwar.com

Hur kan du säkra ditt beslut?
Inom sjukvården har man tagit beslutet att alla kirurgiska ingrepp ska göras i en steril och säker miljö och vidtar omfattande åtgärder för att åstadkomma detta.
– säkra ditt beslut

Två nöjda herrar efter Ortopediveckan 2012 i Kristianstad, Peter Ljung och Ewald Ornstein.
Ortopediskt Magasin ger dig i det här numret allt du vill veta om evenemanget, och kanske litet till!


En nyhet för dig som vill säkra ditt beslut! – säkra ditt beslut

Nu lanserar vi SteriStay – den nya generationen sterilbord

SteriStay är ett unikt sterilbord som med ultraren luft säkrar sterildukningen av dina instrument och utrustning, både under uppdukning och hela operationstiden.
SteriStay är lika smidigt att använda som ditt vanliga instrumentbord!

Effektivt* • Tystgående • Flexibelt
* Hjälper dig att skapa en ultraren luftmiljö med < 5 cfu/m3 luft kring dina sterildukade instrument.


Kristianstad bjöd första veckan i september under den traditionella Ortopedveckan på i huvudsak soligt väder med regnstänk endast under promenaden hem från banketten. Organisatoriskt visade det sig också att mötesgeneral Ewald Ornstein, ortoped och sedan ett antal år sjukhuschef i Hässleholms sjukhusorganisation, hade fördelat sina styrkor förnämligt då såväl vetenskapliga som sociala arrangemang avlöpte på ett mycket nöjsamt sätt. Den gemensamma ortopediska kliniken Hässleholm-Kristianstad-Ystad visade under dagarna i praktiska termer att klinikfusioner kan ske med gott samarbete och god stämning som resultat.
Av Magnus Karlsson
Kongressen med dess cirka 1500 deltagare cirkulerade med stor framgång runt den nybyggda idrottsarenan, där stadens handbollslag under förra säsongen var hårsmånen ifrån att bärga SM-titeln. Men denna vecka var idrottstemplet transfererat till kongresshall med rymliga närliggande föreläsningssalar, bra posterområde och inbjudande utställningshall. Det enda orosmomenten uppstod när en av utställarnas monter föll så illa att en av konkurrenterna träffades i huvudet. Men, ingen större skada skedd. Efter ett kort sjukhusbesök, där man trots ortopediveckan kunde leverera personal som gav den olycklige översyn, kunde efter spjälning av den havererade montern och omplåstring av den skadade utställaren allt återgå till status quo.
Ortopedexamen
Vid måndagens patientfokuserade ortopedexamen, en tillställning där 27 anmälda exami-
nander under 1,5 timmar slussades runt till tre olika patienter vardera som de fick undersöka och diskutera med dubbla examinatorer, kunde slutligen examinanderna pusta ut. Per Erik Persson och Samuel Dencker från moderkliniken hade tillsammans med personalen på ortopedmottagningen arrangerat ett förnämligt schema med en intressant blandning av ortopedpatienter som väl testade de förhoppningsfullas kunskaper.
Efter dagen kunde SOF:s utbildningsansvarige Hans Mallmin, Uppsala, än en gång konstater att framtiden för svensk ortopedi är ljus när 24 av deltagarna lämnade sjukhuset med examensdiplom i handen, detta efter att ha bedömts enligt Mc Kinleys et al. bedömningsalgoritm (Medical Education 2000:34;573-9).
Om nu berörda verksamhetschefer följer SOF:s råd kommer kollegorna även att lyfta 1000 kronor mer i sitt lönekuvert.
Vid det efterföljande lärarkollegiet, när erfarenheterna från examen dryftades, lyftes än en gång fram vikten av att man på klinikerna strukturerat tränar anamnes och ortopedstatus, inte minst när det gäller att utvärdera comorbiditet och levnadsvanor samt undersöka barn.
Länkar från hemsidan
Förslag som framfördes, för att ytterligare förbättra dessa färdigheter, var att i simulerad examenssituation med äldre kollega som examinator finslipa dessa delmål, och att återkommande under ST-perioden göra detta för att komma ifrån den artificiella situationen som uppkommer vid ett förhör. I dag finns även via SOF:s hemsida videolänkar där man kan gå igenom olika undersökningar.
I ståtlig tradition avslutades dagen på kvällen med middag på Bäckaskogs slott där såväl examinander som examinatorer umgicks under lediga former och där flera av den svenska

ortopedins profiler lät de yngre kollegorna ta del av sina visdomsord.
Professors- och verksamhetschefsmöte
På tisdagens professors- och verksamhetschefsmötet fokuserades ytterligare mot hur vi kan förbättra specialistutbildningen, inte minst då OSTRIX anslöt under senare halvan av mötet. Ortopedexamen skall fortgå med liknande upplägg som tidigare. Man skall tilllåtas att skriva den teoretiska examen när man vill, detta som träning, men först efter 4,5 års tjänstgöring i ST-läkarutbildningsposition kan den teoretiska skrivningen räknas till godo för ortopedexamen.
När den teoretiska delen är godkänd har man fem år på sig att ta den muntliga delen, en delexamen som först får göras när man har erhållit sitt ortopediska specialistbevis, för att då förhoppningsvis också få ut SOF:s examensdiplom. För godkänd examen krävs givetvis också medlemskap i SOF. Då antalet kollegor som genomgår examinationen långsamt ökar kan man bara hoppas att de flesta
nyfärdiga specialister inom några år väljer att genomgå examen. Man lyfte även fram att SOF bör stimulera kollegorna att gå upp i den europiska examen, EBOT-examen (European Board of Orthopaedics and Traumatology), en examen som i år hålls i Dublin. Arkan SayedNoor, Sundsvall, som såväl genomgått examen och som numera fungerar som examinator vid denna examen, lovade välvilligt att hjälpa dem som är intresserade med råd om hur man bör förbereda sig för inför proven. Tilläggas ska att SOF delar ut resestipendier till individer som önskar genomgå examen, ett stipendium som i år tyvärr ingen medlem sökte.
Patientsäkerhet en ledningsfråga
Patientsäkerhetsfrågor kom också upp på dagordningen. Dan Johannesson, verksamhetschef i Kalmar, höll här ett initierat inlägg där han visade hur man i Kalmar hade arbetat för att nå uppsatta mål. Enligt Dan är patientsäkerhet en ledningsfråga där man genom att fungera som förebild och i praktiken visa att detta är viktiga frågor och att, om man i verksamheten prioriterar dem och även mäter re-
sultatet av sina ansträngningar, kan vårdskadorna minska med 50%. Dessutom redogjorde Pelle Gustavsson, Lund, om några veckor ny chefsläkare på LÖF (Landstingets ömsesidiga försäkringsbolag), samt Anne Garland, Visby, ansvarig för frågorna inom SOF:s styrelse, hur gruppen i SOF:s regi lagt upp sitt kommande arbete. Anne Garland redovisade också SPUR:s (specialistutbildningsrådet) arbete med inspektioner av ortopedklinikerna i landet samt hur den nya organisationen, där socialstyrelsen nu skall ta över ansvaret för inspektionerna från specialistföreningarna, kommer att påverka arbetet. Inte minst att man nu övergivit att delvis arbeta på ideell bas till att fakturera faktiska kostnader har senaste åren gett mer än en verksamhetschef skrämselhicka.
Förbättrade levnadsvanor
Tönu Sartuk, Visby, redovisade hur projektet med ”förbättrade levnadsvanor” fortgår. Genom att bara lyfta dessa frågor i läkar-patientrelationen har vi förmodligen mycket att vinna. Vi har ju i dag klara data som visar att såväl rökning, fetma som fysisk inaktivitet inte bara

man uppfattat studien rätt men också så att författarna kan komma med tilläggsinformation av vikt för bedömningen av studien. Det intressanta med denna är att den är helt akademiskt baserad utan kommersiella intressen inblandade. Målet är att assistera och stimulera kliniker att arbeta i en evidensbaserad anda. Det ortopediska samhället har givetvis insett det potentiella värdet av en dylik databas, och gruppen kring Mohit har intensivt adresserats med att lägga in databasen under såväl intresseorganisationer som AAOS (American Academy of Orthopaedic Surgeons) som under olika läkemedelsbolags beskydd.
Enligt Bhandari är dock en av finesserna att databasen ligger helt fri från alla särintressen, en av orsakerna varför han vid mötet adresserade SOF med en förfrågan om samarbete i organisationen OrthoEvidence, en inbjudan som SOF:s styrelse kommer att arbeta vidare med.
Korta beslutsvägar
försämrar den allmänna hälsan utan även ökar komplikationerna vid ortopedisk kirurgi. För alla med intresse i dessa frågor rekommenderas ett symposium på Riksstämman fredagen den 30 november som Tönu kommer att leda.
Ytterligare ämnen som togs upp under ledning av Göran Garrellick, Göteborg, var hur vi skall komma vidare med sammanslagning av de ortopediska patientregistren, en inställning som inte minst vår förre ordförande propagerar för såväl verbalt som i skrift. I skivande stund har man kommit så långt att alla ortopediska register snart kan hittas under en gemensam portal där man lätt kan länka till de olika registren. Men vägen till ett enda allmänt ortopediskt register synes lång. Denna fundering förstärktes ytterligare vid SOTS (Svenska Ortoped-Traumatologiska Sällskapet) symposium på torsdagseftermiddagen, där traumaregistrets gränssnitt mot befintliga register ventilerades. Vad man är rädd för är ju dubbeldokumentering av patienter som är av intresse för flera register. Diskussionen klargjorde att vi på sikt måste samordna frågeformulären så patienterna kan fylla i ett enda formulär där respektive register kan länka önskade uppgifter.
Men i framtiden bör ju utvecklingen innebära att önskade registeruppgifter förs in patientens journal, där registren kan hämta alla viktiga uppgifter. Närmaste åren ligger stort ansvar på de individer som driver detta viktiga arbete vidare.
Spännande föredrag i evidensbaserad anda
Två föredrag som båda berörde hur vi bör arbeta evidensbaserat gav upphov till många intressanta impulser. Först redogjorde Mohit Bhandari, Hamilton, Canada, i sin översiktsföreläsning ”Moving evidence-based orthopedics forward in 2012” hur man kan arbeta med en nätbaserad ortopediskt inriktad evidensdatabas.
Tanken bakom databasen är att det är i princip omöjligt för en enskild individ att följa all ortopedisk litteratur.
I OrthoEvidence (www.myorthoevidence. com) uppdaterar en grupp fristående ortopeder och vetenskapsmän databasen varje månad med i litteraturen nytillkomna studier med högt evidensvärde. Varje studie gås igenom enligt en specifik mall som fylls i och sen läggs upp på nätet. Bedömarna tar också kontakt med författarna för att få godkännande så att
Nästa föredrag i samma anda, “System-based approach to prevention of secondary fractures” av Alistair McLellan, Glasgow, beskrev hur man i Glasgow med omliggande region sedan ett antal år arbetat strukturerat för att minska risken för att en frakturpatient skall drabbas av fler frakturer.
I dag finns evidensbaserad kunskap att om man riktar in sig med prevention mot de individer som drabbats av en fraktur, fångar man 10% av hela befolkningen men 50% av de som utan behandling kommer att drabbas av en höftfraktur. Man kan då verkligen rikta sin intervention.
Hemligheten med en lyckad intervention är enligt McLellan att skapa korta beslutsvägar, inte remittera och vänta på att någon annan skall ta tag i problemet, detta då en stor andel av individerna som råkar ut för en andra fraktur gör detta inom 6 månader. Därför bör sekundär prevention byggas in i organisationen hos de som fångar den första frakturen, ett arbete som företrädesvis kan skötas av sköterskor. Det viktiga med detta arbete är att adressera patienterna och inte vänta på att de så småningom hör av sig själva. Under föredraget visades klara siffor hur ett sådant upplägg verkligen kan minska frakturbördan i samhället.
Antalet sekundära frakturer minskades på detta sätt med 18 per 1000 frakturpatienter (95% CI 10-24) och antalet höftfrakturpatienter med 11 per 1000 frakturpatienter (95% CI 10-24) och detta interventionsarbete visade sig
också vara kostnadseffektivt (McLelland et al. Osteoporosis Int 2011;22;2083-98).
Lovande forskning av yngre kollegor
Under mötet presenterades glädjande nog inte mindre tre sessioner med ST-läkararbeten/ forskning av yngre forskare. Vissa av föredragen rapporterade patientsäkerhetsarbete som när Martin Forssberg, Nyköping rapporterade om ”Protesinfektion och hur en fördjupad analys gav möjlighet till kvalitetssäkring”. Författarna lyfte här fram att en tydlig markör för protesinfektion var sårläkningsproblem. Slutsatserna i arbetet blev att man borde ha haft möjlighet att diagnosticera och behandla dessa patienter tidigare än vad som hade skett. Forssbergs arbete hade redan gjort att en rad rutiner hade förändrats på hemmakliniken, som strukturerad kontroll av såren postoperativt samt intensifierad information till patienten. Men även ortopedens behandling av etablerad postoperativa infektioner hade standardiserats.
Ett annat gott exempel på utvecklingsarbete gav Sofie Andersson, Danderyd, som i sitt projekt visade att antalet läkemedelsfel minskade signifikant efter införandet av metoden läkemedelsavstämning (LMA). Detta är resultatet av ett strukturerat arbete där efter inskrivande läkares ordination, avdelningssköteskan går igenom läkemedelslistan samt beställer läkemedelslistor vid behov för att man vid nästkommande gemensamma rond kan korrigera listan vid behov. Dylika förbättringsarbeten som lagts ut på vår hemsida samt presenterats i denna tidning borde snabbt kunna föra ut nya tankar och rutiner till andra kliniker, ett ypperligt exempel på att den nya ST-utbildningen, som i många ögon mer ses som en rad av nya problem än en förbättrad ortopedutbildning, kan medföra innovativa förbättringar.
Pris för forskning om skolgymnastik
Bland all imponerande ung vetenskap erhöll slutligen Fredrik Detter, Malmö, priset för bästa yngre forskarpresentation när han i en prospektiv kontrollerad interventionsstudie visade att sex år med daglig skolgymnastik ökade benmassan samt förbättrade skelettstrukturen utan att den ökade fysiska aktiviteten medförde mer trauma och fler frakturer. Den i litteraturen rapporterade ökningen av frakturer man kan se hos idrottande barn kan alltså undvikas med rätt typ av träning men ändå med bibehållen god effekt på skelettet.

Studien väcker stora förhoppningar om att ”peak bone mass” kan påverkas med måttlig fysisk aktivitet och om så torde detta vara en väg att öka skeletthållfastheten i vuxenlivet och möjligen också bromsa den ökande frakturincidensen i samhället.
Andra pristagare
Priset på för bästa poster gick till presentationen ”Ökad risk för reoperation och höftrevision för invandrare och svenska patienter baserad på svenska höftregistrer” (Ferid Krupic, J Kärrholm, G Garellick. T Eliasson och M Gordon), Sahlgrenska sjukhuset, Angereds närsjukhus samt Danderyds sjukhus.
I denna poster visade författarna att efter justering för skillnader i ingångsvärden, så hittades ingen skillnad mellan svenskfödda och gruppen som invandrat till Sverige, i höftplastikregistret i utvärderingsvariabeln reoperation av en höftplastik. Då forskargruppen tidigare visat att bland patienter opererade i Göteborgsregionen är det patientrapporterade utfallet sämre bland invandrare än svensk-
födda höftplastikopererade, uppkommer ju frågan varför det subjektiva resultatet är sämre medan det i detta arbete objektiva måttet inte skiljer sig mellan grupperna.
Vid den välbesökta postervandringen, som leddes av moderator Jesper Aspengren, berättade Krupic att man i en mindre grupp gjort djupintervjuer och kommit fram till att det råder informationsbrist i invandrargruppen. Genom opublicerade data meddelades vi även att forskargruppen med intensifierad information i anslutning till operationen kunde förbättra den subjektiva skattningen av den primära operationen i gruppen med invandrare. Som lyssnare undrar man då om en intensifierad information även kommer att förbättrar det upplevda resultatet hos svenskfödda individer, en undring som Krupic nu skulle ta med sig hem och utvärdera i ytterligare studier.
Behandling av calcaneusfrakturer
Som bästa muntliga föredrag utsågs ”Conservative versus operative treatment of intra-articular calcaneal fractures – a prospectiv RCT

den icke-opererade gruppen, ett tillstånd som ofta medförde svårigheter vid val av skor samt i de fall där man krävde vidare behandling en teknisk svårighet vid artrodesoperation.
Fler stipendieansökningar i år
Även i år delades flera industrisponsrade stipendier ut till våra medlemmar. Glädjande nog var det betydligt fler som i år hade sökt bidrag jämfört med de senaste åren. DePuy Stipendiet delades i år mellan AT- läkaren Sebastian Mukka för projektet ”snittföring vid protesoperation hos patienter med lårbenshalsfraktur - en jämförande studie mellan antero- och posterolateralt snitt med avseende på höftfunktion” och Maizar Mohaddes, Sahlgrenska sjukhuset för projektet ”olika fixationsmetoder vid cuprevisioner”. Anatomica´s forskningsstipendium tilldelades Iman Ghanei, Skånes universitetssjukhus, Malmö som resestipendium till AAOS´s årsmöte i Chicago 2013 för presentation av sitt arbete ”Lower back pain in elderly - epidemiology, future burden on society, predictive and prognostic factors”. LINK Sweden
linska sjukhuset för sitt projekt ”Postoperativa infektioner efter total höftproteskirurgi” och rolinska sjukhuset för ett planerat ortopediskt
dersjukhuset, för avhandlingen ”Treatment of displaced proximal humeral fractures in elderly patients”. Juryns motivering till detta stipendium löd som följer:
”Denna avhandling bringar ljus i ett mörker. Evaluerad diagnos drabbar ack så många men professionens ambivalens inför val av behandling har trots det varit påtaglig. Med ståndaktighet och saklighet redovisas i denna avhandling stolta forskningsresultat som vägleder oss vilken patient vi ska operera och vem vi gör bäst i att låta vara”.
En mycket förvånad, stolt och glad pristagare hämtade på årsmötet under kraftfulla applåder sitt stipendium, där redan på scenen SMS-gratulationerna började plinga i den populäre pristagarens telefon. Avhandlingen, som innehåller två RCT (randomized controlled trials), berör i korthet problematiken med dislocerade proximala humerusfrakturer hos äldre, där 2-fragmentsfrakturerna utgör c:a 15%, 3-fragments c:a 10% och 4-fragments c:a 3% av det totala antalet frakturer. Den första studien visar att vinkelstabil platta tycks vara ett bra behandlingsalternativ för dislocerade
2-fragmentsfrakturer hos äldre, även om 16% tvingas till re-operationer. Den dislocerade 3-fragmentsfrakturen som behandlas med vinkelstabil platta visade sig endast leda till en icke signifikant bättre livskvalitet/funktionellt resultat jämfört med icke-kirurgisk behandling, även om det verkade som rörelseomfånget var något bättre i den operativa gruppen. Dessutom förelåg en re-operationsfrekvens på 30% i den kirurgiskt behandlade gruppen med 3-fragmentfrakturer. Hos patienter med 4-fragmentsfrakturer gav hemi-artroplastik upphov till en signifikant bättre hälsorelaterad livskvalitet och signifikant mindre smärta jämfört med de icke-kirurgiskt behandlade patienterna, även om rörelseomfånget var lika. Slutsatsen i avhandlingen blir att den förbättring som man kan notera både i funktion och hälsorelaterad livskvalitet efter kirurgisk behandling balanserad mot det besvär och den risk för komplikationer det innebär att bli opererad, sannolikt är rättfärdigad hos en äldre, förhållandevis frisk person och om operationen utfördes av en inom området erfaren operatör. Å andra sidan, det förhållandevis acceptabla resultatet och begränsade behovet av sen kirurgisk behandling i de konservativt behandlade grupperna indikerar att icke-kirurgisk behandling sannolikt är tillräcklig för de allra äldsta patienterna med lägre krav på axelfunktion. Generellt noterades att frakturen oavsett behandling fortfarande medför en betydande nedsättning av både axelfunktionen och den hälsorelaterade livskvaliteten. I mina ögon ter det sig som om vi behöver ytterligare och större studier innan vi kan dra definitiva slutsatser.
Den åldrade patienten tema 2013
Med fredagens inspirerande ord från nästa års arrangörer, Uppsala, ringande i öronen, rekommenderas alla att redan nu boka vecka 35 för ytterligare en vecka i ortopedins tecken. Vad vi kan förvänta oss kan man ana i den film Uppsalaortopederna producerat som beskriver Uppsalaklinikens historia och upplägg inför mötet, om än i viss modifierad arkivfilmsform (filmen kommer att läggas ut på SOF:s hemsida – titta igenom denna lysande presentation där flera kända ansikten figurerar!), när vi nästa år i gluntarnas stad tar oss an temat ”den åldrade patienten”.


Ger cirkulär, jämn kompression
Sitter på plats, glider inte
Lindrar smärta, medger rörlighet
Kan anpassas individuellt

Jesper Aspegren intervjuade Marika Wachtmeister innan hon själv fick överta ordet och förklara årets Art Ort invigt.

Av Börje Ohlsson
in faster, som är konstnär, har inspirerat mig, sade en överlycklig Mari Isakson när hon vunnit årets Art Ort.
Till vardags är hon ST-läkare på ortopedkliniken i Jönköping, men silversmidet är hennes stora hobby. Ortoped till yrket men silversmed i sinnet, som det stod på en lapp i hennes glasmonter.
– Jag har gått kurser i silversmide och hållit på i fyra–fem år. Jag jobbar helst med silver, det är ett så härligt skönt material, berättade hon.
Mari deltog med tre objekt, varav det magnifika halsbandet hon bär här på bilden var ett.
Hennes stil är typisk skandinavisk i luftig och avskalad design. Det här var första gången hon var med i sådana här sammanhang, men säkert inte den sista. Och skulle Mari tröttna på ortopedin kan hon ju alltid att sätta sig framför guldsmedsbänken och börja skapa.
Art Ort är ett roligt inslag under Ortopediveckan och hade denna gång samlat ett tiotal förhoppningsfulla konstnärer.
Extra festligt
I år var det extra festligt eftersom man lyckats locka konstkännaren och galleristen Marika
Wachtmeister från Wanås konst att inviga Art Ort. Marika bor på Wanås slott ett par mil norr om Kristianstad som blivit känt för sina spännande utställningar, inte minst den unika skulpturparken som regelbundet lockar internationella storheter.
Konstnärlig bredd
Den oförtröttlige Jesper Aspegren var förstås på plats när Art Ort skulle invigas och höll en lagom avspänd intervju med Marika innan hon själv tog till orda.
Marika berättade att hon tyckte de utställda

En överlycklig Mari isakson iförd sitt vinnande halsband.
verken visade på en stor bredd i sina konstnär liga uttryck.
Särskilt roligt tyckte hon det var att konst närerna verkligen vågat ”ta i ordentligt” i sitt skapande.
–Jag ser också att konstnärskapet betyder olika för alla. För en del verkar det vara en flykt från vardagen och för andra mera ett sätt att lätta på det inre trycket eller ett sätt till själv meditation. Men gemensamt är att konsten verkar vara ett viktigt inslag i deras liv.
Vad är konst?
Den eviga frågan vad som är konst besvara de hon enkelt och elegant att det är allt som konstnären själv tycker är konst.
Sedan kan det vara ett bra eller dåligt hant verk eller tanke, men det är en annan sak.
Som dotter till en av Sveriges stora ortope der, Göran Bauer och en konstälskande mor har ortopedi och konst alltid varit en del av




invigd berättade hon att hennes föräldrar hade en liten firma ihop med nästan samma namn som ortopediutställningen.
Den hette nämligen Ort Art.
BöRJE OHLSSON Text och foto

“You think you are good, but you are actually crap”
Den utmanande rubriken lockades många till föreläsningssalen av David Barrett, inbjuden gäst från Southampton. Och han inledde med att ifrågasätta svenska läkares alldeles för långa semestrar...
Barrett är en mycket erfaren knäoperatör – han gör inget annat än knäproteser; uniknän, totala samt femuropatellära proteser.
Han visste att det fanns svenska ortopeder
Av Anders Wykman
som hade så mycket som en hel månads semester och var vi då inte litet osäkra på handen när vi kom tillbaka till operationssalen?
Någon i auditoriet upplyste om att han just kommit tillbaka efter sju veckors semester!
Barrett flämtade, flinade och menade att det behövdes ett antal operationer innan man fått tillbaka sin tekniska färdighet efter även en kortare ledighet. Han har undersökt patienter som remitterats till honom på grund av besvär

Sören Toksvig-Larsen från värdkliniken höll I ett symposium om obesitas och kirurgi. Han hade bjudit in anestesiologen Peter Dahm, kirurgen Anders Kylebäck och en f.d. patient som gått ned 120 kg i vikt och fått nya knäleder. Hur hon viktminskat? Med järnvilja och Viktväktarna.
En vanlig uppfattning är att överviktiga personer går ned i vikt efter knäprotesoperation. Då har man kunnat röra sig mera, förbränt mera energi. Detta är fel. Obesapatienter fortsätter att viktöka även efter proteskirurgi. Det är ätbeteendet som är boven i dramat, inte bristen på motion.
minerats under många år innan de kommer ifråga. Många frågar sig om Charnley var nominerad men det kommer man inte att avslöja förrän efter 50 år vilket är preskriptionstiden i kommittén. Kan artrosforskning och studier av interaktioner mellan implantat och värdorganism vara fält som intresserar de professorer som nominerar kandidater?
Sten Lindahl avslöjade inget; han var som en mussla trots att Jesper Aspegren pressade honom.
ANDERS WyKMAN docent, överläkare, Helsingborgs lasarett
Svensk Ortopedisk Förening och Ortopediskt Magasin har beslutat att under tre års tid utse Årets Två Bästa Ortopediska Avhandlingar.
Vi delar ut två resestipendier till valfria internationella kongresser (resa, kongressavgift och logi) dock max motsvarande 25 000 SEK vardera.
Tävlingen pågår under åren 2012, 2013 och 2014. Följande kriterier gäller:
• medlem i SOF
• två stipendietagare utses av styrelsen för SOF och stipendierna delas ut vid årsmötet följande år
• två stipendietagare väljs ut bland de kandidater som under kalenderåret 2012 försvarat sin avhandling och anmält den till tävlingen genom att skriva en kort sammanfattning i Ortopediskt Magasin för publikation senast i nummer 2 (våren) 2013.
• motsvarande gäller för åren 2013 och 2014
• resestipendierna delas ut till de två personer som under året försvarat de avhandlingar som bedöms komma att medföra störst nytta för ortopedin i framtiden
Skicka senast den 15 april 2013 in avhandling, sammanfattning och en kort förklaring varför just den bör bli en av de bästa till:
docent Anders Wykman, Ortopedkliniken, Helsingborgs lasarett, 251 87 Helsingborg, anders.wykman@skane.se
Svenska läkaresällskapet (SvLS) ska tillsammans med SOF och SFAM (Svensk Förening för Allmänmedicin) verka för bättre levnadsvanor hos våra patienter. Förra året beslöt man därför att anställa en ortoped en dag i veckan som projektledare. Bakomliggande faktorer till beslutet var att ortopedin bl.a. drivit antirök-kampanjen som fått stort genomslag i landet. Bland ett tiotal meriterade sökande utsåg SOF:s styrelse Tönu Saartok, som nu arbetat i ett år med projektet.
Av
Karin Bernhoff
Har du kommit in i folkhälsoarbetet?
-Ja, mycket tack vare ortopedernas och SOF:s lyckosamma arbete före hösten 2011, detta projekts start, med ”En rökfri operation”. Det gav mig och mitt uppdrag en kickstart. På grund av att vi i SOF redan hade hunnit en lång bit på väg i samtalen med våra patienter om levnads(o)vanan rökning, och dels för att man ville ha med sjukhusspecialister i projektledningen, så är jag sedan ett år med i projektledningen. Detta ger ju en bredare och mer översiktlig bild av uppdraget, och vi kan sektioner i SLS kan lära oss av varandra.
Har uppdraget klarnat?
-Socialstyrelsen (SoS) har således uppdragit åt bl. a. Svenska Läkaresällskapet (SLS) och dess olika sektioner (bl.a. SOF) att implementera de nya nationella riktlinjerna för sjukdomsförebyggande metoder (SOS nov 2011). Grunden till åtgärderna skall vara någon form av rådgivning, och läkarna ges alltså ett uppdrag/ansvar att samtala med sina patienter om deras levnadsvanor (”KRAM”, Kost, Rökning, Alkohol, Motion/Fysisk aktivitet). Sjuksköterskor och sjukgymnaster har, respektive kommer att få, ett liknande uppdrag genom sina

yrkesföreningar. Dessutom har SoS lagt ut ett liknande uppdrag till landsting och kommuner.
-Slutmålet är att man genom detta nätverk, som då blir alltmer finmaskigt (olika specialistföreningar resp. yrkeskategorier i vården), tidigt skall fånga upp patienternas eventuella ohälsosamma levnadsvanor och kunna hjälpa dem att på olika sätt förbättra dessa.
-Den vetenskapliga evidensen fylls ju alltmera på om fördelarna av primär-, men också sekundärprevention, av rökning, missbruk av alkohol, ohälsosam kost samt inte minst fysisk inaktivitet.
-Metodiken för våra samtal delas in i (a) ”enkla råd”, (b) (korta) ”rådgivande samtal” samt (3) (mer utförliga) ”kvalificerad rådgivande samtal”
Några resultat?
-Nja, implementering är en svår konst. Man skall ju inte bara införa, utan också förstå varför man inför en ny rutin, som detta snarast är. Vi har ju ”i vår ryggmärg” att preoperativt kontrollera puls, blodtryck, lungor och lokala sår. Nu skall vi ju också lära oss att få ett grepp över om patienten är rökare eller ej, och om missbruk av alkohol, kost eller fysisk inaktivitet. De förstnämnda fyra är ju självklara för de flesta av oss, men i det här projektet gäller det att även få med alla ortopeder på förståelsen att även levnadsvanorna kan ha en avgörande betydelse för operationsutfallet. Samtidigt skall vi ju inte bedriva någon slags ”hälsofascism”, utan informera när det faller sig naturligt.
-Numera är det ju bara var femte person som är dagligrökare. Jag tror det vore bra att 1-2 frågor per levnadsvana fanns med i den hälsodeklaration som de flesta ortopedkliniker infört. Det är ju då naturligt för oss att ögna igenom denna, och eventuellt kommentera och fråga. Då har vi redan hunnit en bra bit på väg.
-Om vi sedan kort kan ge patienterna lite information och undervisning om varför vi börjat fråga om levnadsvanorna så blir det bättre patientförståelse. Vi sår ett frö om en beteendeförändring. Och då andra specialister inklu-

sive husläkarna gör samma sak, samt att dietister, sköterskor och sjukgymnaster och andra gör samma sak, då blir chansen för genomslag större. SOF har gjort detta till en patientsäkerhetsfråga, vilket är bra för det visar ju att vi är måna om att de skall bli bra av vår kirurgi eller annan behandling. Därmed bryr vi oss, och det tror jag är det viktigaste.
-En annan fördel för vårt arbete är att patientens operationstillfälle kan vara en kickstart för dem att komma igång med bättre levnadsvanor.
-Min ambition nu är att alla ortopedkliniker i landet utser en (eller flera) ambassadör(er) för dessa frågor på kliniken – meddela mig vem/vilka!, som i sin tur kan vara informatörer på det lokala planet och interagera med kollegor på och utanför kliniken, resp. andra yrkeskategorier. Men att ta upp dessa frågor i vårdkedjan runt ortopedpatienterna är allas vårt ansvar!
Vad blev din titel?
-Jag kallas numera ”sektionsansvarig” (för SOF) i projektet. Ett 10-tal sektioner i SLS är nu med i projektet. Målet för mig är att minst en ortoped per klinik, efter en endagsutbildning, blir ”lokal ambassadör” på kliniken/orten, och bland dessa kan en eller flera agera på landstingsplanet, vilket bl.a. SoS efterfrågar.
Jag vet att du har ett symposium på läkarstämman i november. Vad handlar det om?
-Det är ju vår förre ordförande Olle Svens-
son som till stor del varit initiativtagare och motor för detta. Symposiet benämns ”Rökpaus runt operation?”, och kommer att gå av stapeln på fredagen den 30/11 2012 på Riksstämman i Älvsjö. Vitsen är att få med de andra sektionerna inblandade i kirurgiska ingrepp i arbete med ”en rökfri operation”. Vi skall försöka ge evidensen bakom denna strategi, ge praktiska exempel på hur man organiserar detta, liksom att ge aspekter på patientsäkerhet, etik, med mera. Även om SOF officiellt inte har någon sektion på Riksstämman numera vill vi ju sprida detta från ortopedin till andra. Och framgångschanserna ökar om vi alla drar åt samma håll och säger samma sak.
Pratar du själv mer om levnadsvanor med dina patienter nu än för ett år sedan?
-Ja, definitivt, men långt ifrån så mycket som jag kanske borde. Jag tycker hälsodeklarationen är en bra hjälp att få en snabb orientering om en ny patient på mottagningen, deras tidigare operationer, medicinering, och snart nu också levnadsvanor. I Visby har ortopedkollega John Eliasson på ett förtjänstfullt sätt fått fram en checklista för rökstopp runt operation, som nu också finns i vår datajournal (Take Care).
Hur länge fortsätter projektet?
-Projektet har ett beräknat slut 2014. Vart vill SoS och vi i SOF att vi har kommit då? Ja, detta är ju inte helt fastslaget, men det är väl ingen som tror att alla i Sverige redan om drygt
två år slutat röka, slutat dricka ohälsosamma mängder alkohol, slutat äta skräpmat, respektive slutat vara fysiskt inaktiva.
-Men om samma information och samtal nu börjar förmedlas från hela vårdapparaten, i framtiden också på arbetsplatser, i skolor, med mera bör detta kunna öka chanserna till att minska riskerna skador och sjukdomar i vården.
-För ortopedernas del i form av mindre komplikationer, mer förutsägbara behandlingsresultat och en bättre behandling, och för det svenska samhället en mindre belastning av ”icke-smittsamma sjukdomar”, som t.ex. diabetes typ 2, adipositas, hjärt-kärlsjukdomar och vissa typer av cancer. Hälsoekonomiskt bör vi på sikt därmed kunna spara på skattemedlen i sjukvården till andra viktiga samhällsområden.
Bra jobbat Tönu! Vi hoppas nu att ”ambassadörs”- kolleger hör av sig till dig!
KARiN BERNHOFF specialistläkare, Akademiska sjukhuset, Uppsala
Tönu önskar kontakt med kolleger som kan tänkas agera som ambassadörer på sin klinik. Projektet kan också fungera som ett kvalitets/förbättringsarbete inom ramen för STutbildningen. Tönu kontaktas bäst på doktortonu@swipnet.se.
Dupuytrens kontraktur, populärt kallad ”vikingasjukan” kan numera behandlas med injektioner i stället för en, i många fall, ganska oviss operation. Metoden är ny sedan i höstas, så än så länge är det oklart hur den fungerar på lång sikt.
Men pensionerade sjuksköterskan Hans Bergvall är övertygad.
UEn av dem är Hans Bergvall, pensionerad sjuksköterska. Han är helt övertygad om me todens förträfflighet. Och han talar av erfaren het. Hans har nämligen lidit av krokiga fingrar i båda händerna. Den ena har han fått opere rad, den andra injicerad.
Han berättar livligt om smärtorna efter ope rationen, och en titt på den handen bär syn för sägen. Breda operationsärr löper från ett finger långt in på handen. Så visar han upp den andra handen. Det enda som egentligen syns är en liten förtjockning där fingret lämnar handen.
-Det här är en fantastisk metod, menar Hans, både hälsoekonomiskt och praktiskt.
-I stället för sjukhus och en dyr operation gjordes det här på två besök polikliniskt.
Första dagen fick Hans ett antal injektioner i bindväven i handen.
-Det gjorde rejält ont, medger Hans. Man har ju mycket nerver i handen.
Behandlingen var över på några minuter. Dag två fick Hans först en lokalbedövning som skulle verka i 20 minuter:
-Under tiden träffade jag en arbetsterapeut som berättade hur jag skulle träna handen ef teråt, berättar Hans förtjust, mycket imponerad av att ingen tid gick till spillo på sjukhuset.

Hans Bergvall är mycket nöjd med den nya metoden.
-Sedan fick jag order att titta bort, läkaren ryckte till i fingret, som var helt rakt när jag tittade igen.
-Allt var bra, bortsett från att huden i handen sprack på två ställen, men det läkte ihop på helt normalt sätt.
I dag är Hans överlycklig över att han kan göra sådant han inte kunde förut, arbeta i träd-
gården, rensa ogräs, byta blöja på barnbarnen etc.
Dupuytrens kontraktur (DC) är uppkallad efter Guillaume Dupuytren. DC förekommer hos 20% av befolkningen över 60 år men kan debutera redan i tonåren. Den är dubbelt så vanlig hos män och den är mer frekvent hos nordbor och anglosaxer än hos befolkningen
runt Medelhavet. Den kallas ibland för ”Vikingasjukan”. Det finns ett ärftligt inslag. Orsaken till åkomman är okänd.
Sjukdomen innebär en förändring av den normala bindvävsplattan (fibrosbildning av den palmara fascian) som finns i handflatan. Samma förändring kan förekomma i fotsulan (plantar fibromatos) och på fingerledernas
En liten förtjockning på ringfingrets insida är det enda synliga tecknet efter behandlingen.





breda ut sig både in mot handflatan och utåt fingrarna, vanligen ring- och lillfingret. Successivt kan fingrarnas förmåga att helt sträckas ut minska och det uppkommer en böjställning i de fingrar som påverkats. Oftast påverkas fingrarnas knogled och första mellanfingerled. Kvarstår fingret böjt i flera år kan leden stelna till och man kan inte helt räta ut leden när bindvävsförtjockningen tas bort. Återfall efter operation förekommer men är ofta av mindre omfattning och behöver sällan opereras. Om en andra operation måste genomföras får man räkna med ett sämre resultat. Skulle man behöva operera mer än två gånger kan cirkulationen och känseln till fingret försämras. Det är därför ingen fördel att operera tidigt utan man bör vänta tills fingret/fingrarna verkligen är i vägen.
FOTNOT: Guillaume Duphuytren, fransk kirurg (1777-1835). Han var mycket framstående läkare och utvecklade den kirurgiska tekniken och var även en föregångare inom olika kirurgiska områden. Han verkade i Paris och kallades då pga. sina avancerade metoder för ”vildjuret vid Seine”.
utlyser rese/forskningsbidrag på 20.000 kr
Bidraget kan sökas för yrkesmässig utveckling i form av resa för besök på annan klinik, deltagande i kurs/konferens eller forskningsarbete inom den ortopediska specialiteten för att främja kvinnliga ortopeders fortbildning.
Ansökan inskickas till stiftelsen BGS sekreterare, Helena Brisby per e-mail: helena. brisby@vgregion.se
Ansökan ska innehålla uppgifter om sökanden i form av ett kort CV (1 sida) och vad bidraget avses att användas till (max 2 sidor)
Sökanden måste vara medlem i Svensk Ortopedisk Förening.
Sista ansökningsdag är 31/1 2013
Bidraget överlämnas i samband med SOFs årsmöte 2013

Redovisning av erhållna bidrag görs genom rese/forskningsrapport i format som kan publiceras i OM.
Stiftelsen BGS, Kvinnliga Ortopeder i Sverige

Ostrix hade som vanligt studierektorsmöte i anslutning till SOF:s årsmöte i Kristianstad, där halva mötet var gemensamt med verksamhetsschefer och professorer.
De första specialisterna utbildade i det nya systemet är nu klara. Sju av de närvarande studierektorerna hade erfarenhet av godkännandeprocessen. Den samlade uppfattningen var att Socialstyrelsen hittills inte hårdragit de nya krav som formulerats i de sista delmålen. Fortfarande finns stora frågetecken inför vad som krävs framför allt för delmål 19 och 20.
Det belystes återigen att Socialstyrelsen (SoS) kräver att ST-utbildningen ska göras under handledning och att handledaren ska vara handledarutbildad.
Den nya målbeskrivningen diskuterades
Av Eva Samnegård och Michael Ullman
ur olika synvinklar: Ännu finns inga formella kurser i basal ortopedkirurgisk teknik. Karlstad arbetar på att genomföra en regional kurs. Michael Ullman föreslog att ett gemensamt curriculum skulle utarbetas. Mötet uppdrog åt Michael Ullman att utarbeta ett förslag på ett gemensamt curriculum. Ämnen som basal undersökningsteknik, suturteknik, sårvård, repositioner, ortoser, gipsteknik och röntgenhygien bör ingå.
ST-läkare har uttryckt oro för att träning i artroskopi blir allt mer svårtillgänglig, efter det att artrosknän inte längre skoperas i samma utsträckning som tidigare. Det är allt svårare
att få basal kompetens i artroskopi under ST tiden.
Kurser med simulator- och preparatövningar föreslogs som möjliga metoder till förbättring.
Radiologi
Vidare ifrågasattes varför randning i radiologi inte är obligatorisk. Snarare förekommer det inte alls. Vid SU/Mölndal (Göteborg) ges en årlig kurs i Ortopedisk radiologi för ST-läkare. Denna kurs har givits även i en modifierad form för ST-läkare i ortopedi. Denna kurs
kommer att upprepas och inbjudan sändas ut till alla Ostrix-anslutna studierektorer.
Handledning
Mycket har trots allt förbättras med den nya utbildningsgången:
Handledningen fungerar bättre och har högre standard. Att få åka på de kurser man behöver är i allmänhet inget stort problem längre. Målstyrningen har blivit tydligare. Dagens utbildning är bredare än tidigare.
Fortfarande finns oklarheter i vad handledarutbildning och studierektorsutbildning ska innefatta. Det informerades om att studierektorskurser finns i IPULS-regi.
Fortfarande finns inga bra riktlinjer för delmål 19 och 20. Läkarförbundet och Läkaresällskapet rekommenderar tio veckor för bägge delmålen inklusive kurs, trots detta ser det olika ut i landet. Det påpekades att i delmål 19 ska ett individuellt arbete utföras medan delmål 20 kan utföras i grupp. Kurser täckande delmål 19 finns nu åtminstone i Stockholm, Göteborg, Uppsala och Kristianstad.
Camilla Bergh, ordförande i Epiphysen, undrade om hur ofta handledarsamtal sker och om man får avsatt tid för dessa. Mötet kunde konstatera att det har skett förbättring av detta sedan SoS kom med de nya kraven, dock föreligger stora variationer runt om i landet.
Önskemål om studierektorskurs kom upp. Mötet beslutade att en kurs bör ges i samband med nästa studierektorsmöte i januari 2013.
Ortholan
Michael Ullman presenterade Redhållningsprogrammet Ortholan. Programmet används för att hålla reda på varje ST-läkares utbildning. I programmet finns utbildningsplan och kontrakt, handboken, register för placeringar, bedömningsformulär, genomgångna kurser med intyg enligt SoS-formulär, handledarsamtal. Programmet kan även användas för att planera kurser, föreläsningar och föreläsare. Om någon är intresserad av Ortholan ta kontakt med Michael Ullman, michael.ullman@vgregion.se.
Översyn av specialistutbildningen
Hans Mallmin informerade om SoS översyn av läkarnas specialistutbildning. Förslag är att bl. a. handkirurgin återigen blir en egen basspecialitet. SoS vill också införa en gemensam kunskapsbas i utbildningen (GKB), bl.a. för att säkra tillgången av primärjourer. Ortopederna
har föreslagits att ha GKB med bl. a. handkirurger och kirurger. Handkirurgföreningen har sagt nej till GKB med ortopederna. Mötet/ SOF motsatte sig GKB med kirurgerna.
Anne Garland informerade om kommande förändring av huvudmannaskap för SPURinspektionerna. IPULS kommer inte längre att ansvara för SK-kurserna. Detta ansvar kommer att tas över av Socialstyrelsen fr o m 2013. Eftersom detta är större delen av iPULS verksamhet kommer det att bli omfattande förändringar inom iPULS.
Det är ännu oklart vad som kommer att hända med SPUR-inspektionerna. Anne redogjorde för de kostnadsökningar som iPULS föreslagit. De har kritiserats, men beror enligt Anne på att kostnaderna hittills varit dolda, så att inspektörerna dels haft lön från sin arbetsgivare, dels utfört mycket av arbetet på sin fritid. Detta är i längden knappast hållbart. Tillsvidare ansvara iPULS för SPUR-inspektionerna, men detta förefaller idag oklart då iPULS möjligen kommer att läggas ner efter årsskiftet.
Mötet fortsattes tillsammans med verksamhetschefer och professorer. Hans Mallmin, Utbildningsansvarig inom SOF, redogjorde för resultatet av årets ortopedexamen. 82% av de som lämnade in skrivningen blev godkända. 27 var anmälda till muntliga examen. Denna utförs enligt en modell av McKinley. Examinanden ska ta upp en relevant anamnes, göra ett relevant status, ge relevanta diagnosförslag, ha en problemlösande förmåga och ha ett bra beteende inför patienten.
Examinanden får tre patienter tilldelade och bedöms av två examinatorer per patient. Sammanlagt bedöms varje ST-läkare av sex examinatorer.
SOF rekommenderar att man är i slutet av sin ST-utbildning (efter ca 4,5 år) när man går upp i skriftliga examen. Det krävs intyg av verksamhetschefen att nödvändig kunskap finns.
Man måste även vara medlem i SOF. Muntlig examen bör ske efter det att man har blivit specialist och ska ske inom fem år efter avklarat skriftligt prov. Skriftlig examen måste vara godkänd.
Brister finns hos examinanderna. Barnortopedin är särskilt eftersatt. Upptag av anamnes är inte alltid tillfyllest och det finns brister i att
utföra ett strukturerat status.
Förslag till åtgärder är att påvisa nödvändigheten av att klä av patienten, medsittning (gärna av äldre kollegor) och man rekommenderar de statusfilmer som finns på SOF:s hemsida. SOF rekommenderar även 1000 kr lönelyft efter avlagd ortopedexamen och att detta lönelyft kvarstår, hur länge blev dock föremål för diskussion.
Vidareutbildning av specialister (CME, Continous Medical Education)
Fortbildning av specialister har diskuterats. Ska denna utbildning regleras?
I våra grannländer finns olika system. I Norge t ex får man poäng för genomgångna kurser, men även för att man själv föreläser eller har auskultanter. SKL och SLF rekommenderar kurser m.m.10 dagar/år och intern utbildning 0,5 dag/veckan.
Generellt har den externa utbildningen för läkare minskat med 20% sedan 2005. För ortopeder är den dock oförändrad med 10 dagar/ år även om vissa huvudmän tyvärr dragit in nästan hela utbildningsbudgeten, åtminstone för resten av året.
I Västra Götaland finns ett etablerat system med ett par utbildningsdagar per termin avsedda enbart för specialister. Ortopedin har varit eftersatt därvidlag, men kommer fr o m hösten 2012 att etablera denna verksamhet.
Randande allmänmedicinare
Anders Wykman från Helsingborg, beskrev det framgångsrika arbetet därstädes med att få allmänläkare intresserade av att inkludera ortopedi i sin specialiseringstjänstgöring, något som visat sig vara till fromma för såväl ortopedin som allmänmedicinen.
Nästa Ostrixmöte
I samband med nästa Ostrixmöte planeras en pedagogisk/administrativ kurs för studierektorer. Kursen/mötet kommer att avhållas i Stockholmsregionen under två dagar 17 och 18 januari 2013. Närmare information kommer.
EvA SAMNEGåRD sekreterare Ostrix, är överläkare i ortopedi på Åland
MicHAEL ULLMAN ordförande i Ostrix, överläkare i ortopedi vid Sahlgrenska Universitetsjukhuset och studierektor för vidareutbildningen i ortopedi i Västra Götaland.

Den årliga Ortopedmilen avverkades av inte mindre än 51 löpare, ett rekordstort deltagande. Målgången skedde vid Kristianstad Arena i litet gråkallt och blåsigt väder, och segrare i herrklassen blev Simon Östling, Östersund, och bland damerna segrade Minna Carlsson, Örnsköldsvik.



























Inte mindre än 24 ortopeder överlevde den tuffa, muntliga delen av ortopedexamen, i år på sjukhuset i Kristianstad, som vanligt som en upptakt till Ortopediveckan.
– Examen ger oss bättre ortopeder. Undersökningsteknik och förmågan att göra en relevant anamnesupptagning får inte underskattas, säger Li Tsai, ordförande i Svensk Ortopedisk Förening.
Funderar du själv på att gå upp? På följande sidor hittar du alla frågor och svar i årets examen - ett utmärkt tillfälle att testa dig själv och dina kunskaper!































































Ortopedexamen 2012 avslutades som vanligt under måndagen i
Ortopediveckan. Men innan dess hade examinanderna avlagt det skriftliga provet. Ett godkänt skriftligt prov är förstås själva förutsättningen för att få delta i den avslutande muntliga delen.
Av Hans Mallmin
Ortopedexamen 2012, skriftliga delen.
Skrivningen består av 21 frågor:
3 Långessäfrågor där svaret på varje fråga kan ge upp till 10 poäng.
4 Kortessäfrågor där svaret på varje fråga kan ge upp till 5 poäng.
12 Kortfrågor där svaret kan ge maximalt 3 poäng.
2 Kortfrågor där svaret kan ge maximalt 2 poäng.
Fråga 2012-1 10 p
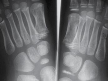
Nyfödd pojke, remitteras från BB p.g.a. sneda fötter.
1. Diagnos ? (1p)
2. Tänkbar genes och incidens? (2p)
3. Behandling ? (4p)
4. Förväntat slutresultat ? (3p)
1. Pes equino-varus adductus ( PEVA), klumpfot.
2. Incidensen är 1/1.000 födda men hos de med nära släkting med samma deformitet är risken 3%, således viss hereditär komponent. Risken alltså trettiofaldigt ökad i sådan fall. Oftast isolerad, mera sällan del i missbildningssyndrom. Benign positionell variant finns, betingad av det intrauterina läget.
3. Behandling enl. Ponseti. Seriegipsning,

illustration till skrivningens första fråga..
korrekt redogörelse för redressionstekniken krävs, mothåll på talus anterolaterala hörn, abduction av framfoten. Redression och omgipsning en gång i veckan. Vid kvarvarande equinus ( 80% av fallen) percutan Achillotenotomi efter 6 v., följt av gips i tre veckor. Sedan Denis -Browne skena med 70 graders abduction av PEVA sidan, 40 grader på den friska till 6 mån
ålder. I bilaterala fall 70 grader bilateralt. Om ingen equinus deformitet kvarstår efter 6v. seriegipsning, skena då enl. ovan.
Efter 6 mån. DB-skena under sovtid till 2-4 års ålder beroende på resultatet.
Seriegipsning följt av posteromedial lösning tillämpas inte längre till följd av Ponsetimetodens överlägsna resultat, men kan behövas i

teratologiska fall med PEVA.
4. Resultatet är mycket bra, men muskelimbalans med ökad kraft i inversion och minskad i eversion motiverar tibialis anterior transfer till os cuneiforme laterale i cirka 20% av fallen.
PEVA-barnen kommer att kunna gå, springa, hoppa, cykla, åka skidor och skridskor som sina jämnåriga, men kan inte garanteras bli en ny Zlatan eller Carolina Klüft.
PEVA är ibland förknippat med mindre fot, vadatrofi och benlängdsskillnad. Detta förekommer sällan med Ponseti metoden, men mycket ofta efter posteromedial lösning.
Fråga 2012-2 10p
Distal biceps brachii ruptur.
a. Skademekanism (1p)
b. Diagnostik (3p)
c. Behandling (3p)
d. Resultat (1p)
e. Komplikationer (2p)
a. Uppstår oftast vid tungt lyft, framför allt om hastigt ryck uppstår. Kan ibland uppstå vid mindre trauma - degeneration. Vanligast hos män 50-60 år, dominant sida.
b. Vid undersökning konstateras smärta och ev hematom vid armbågen. Vid belastning av biceps (flexion, supination) spänner sig inte senan som på friska sidan (Hook test). Kraften i flexion och supination är nedsatt. Smärta. Om den kliniska diagnostiken är tveksam kan ultraljudsundersökning eller MR användas. Partiell skada förekommer.
c. Distala bicepssenan behöver operativt reinsereras vid tuberositas radii. Detta kan ske enligt Boyd Andersen via två snitt, ett i armbågsvecket där senan identifieras och ett posterolateralt över armbågen där senan efter att ha
dragits ned i sin kanal mellan radius och ulna kan fixeras med osteosuturer eller suturankare vid tuberositas radii. Teknik med användande av endast ett snitt kan också användas (modifierat Henry-snitt) men extra stor försiktighet avseende n. radialis som löper i området måste då iakttagas. Postoperativt fixeras armbågen med gips ca 90 graders flexion och lätt supination i 4-5v. Härefter följer rörelseträning som initialt är avlastad.
d. Resultatet efter operativ behandling är i regel gott. Peroperativ nervpåverkan måste undvikas liksom för omfattande subperiostal lösning då detta kan ge ossifikation mellan radius och ulna. Försiktig mobilisering med avlastning minskar risken för reruptur.
e. Om senan ej fixeras reduceras supinationskraften till 40-50% och armbågsflexionen 30 – 40% av det normala. Sent upptäckta rupturer som inte kan reincereras kan fixeras till
brachialis för förbättrad flexions kraft.
Fråga 2012-3 10p
Vilka faktorer spelar roll vid val av ocementerad cup respektive stam baserat på de implantat som för närvarande används i Sverige?
Generellt sett är det inga stora generella skillnader i utfallet mätt som revision mellan val av ocementerad cup. Riskprofilen för uppkomst av olika komplikationer som kan leda till revision är dock olika. Upp till cirka 70 år är risken för revision på grund av lossning/osteolys något reducerad vid användning av ocementerad cup men dessa implantat drabbas å andra sida av andra komplikationer, vilket innebär att risken för revision blir relativt lika. På äldre patienter (70 år och över) bör man använda cementerad cup som förstahandsval.
I klinisk praxis bör man överväga ocementerad fixation om det är svårt att uppnå en god interdigitation mellan cement och trabekulärt ben. Detta kan inträffa om acetabulum är sklerotisk eller om kvaliteten på det trabekulära benet är dålig vilket ofta är fallet vid OA sekundär till CDH.
Generellt sett är cementerad stam associerad med färre revisioner under de första åren postoperativt. Efter cirka 7-10 år sker en utjämning så att protesöverlevnad blir ungefär lika. Orsaken är att ocementerade stammar under de första postoperativa åren drabbas av ökad risk för revision på grund av periprostetisk fraktur och lossning.
Efter cirka 10 år är risken för revision på grund av lossning mindre om man använder en ocementerad stam. Detta gäller framför allt yngre patienter. Hos äldre bör man undvika användning av ocementerad stam eftersom risken för tidig periprostetisk fraktur och lossning är ökad.
I klinisk praxis kan man överväga ocementerad stam hos patienter med god benkvalitet och hög aktivitetsnivå. Detta gäller speciellt patienter med tjockt kortikalt ben och smal märghåla. Om det föreligger sekundära tecken på osteoporos som till exempel en vid märghåla med tunn kortex bör man använda cementerad stam oavsett ålder.
Valet av cementerad eller ocementerad stam eller cup påverkas också av kirurgens vana med respektive proteskoncept. Dessutom spelar det också roll vilken typ av cementerad stam som man har tillgänglig.

Cobb´s vinkel.
a. Varför och hur mäts Cobb´s vinkel ? (2p)
b. Vad menas med begreppet neutralkota? (1p)
c. Vad menas med apexkota och vad används begreppet till? (2p)
a. För att bestämma storleken av en skolios. Cobb´s vinkel mäts mellan den övre neutralkotans övre ändplatta och den nedre neutralkotans nedre ändplatta.
b. Neutralkotan är kotan i skoliosens övre respektive nedre ände.
c. Apexkotan är den kota som i frontalplanet avviker mest från medellinjen, och utgör skoliosens apex, vertex eller punctum maximum. Den är vägledande i klassifikationen av skolios som thorakal, thorako-lumbal eller lumbal.
Fråga 2012-5 5p
Akut lateral svullnad kring fotleden efter snedtramp i joggingspåret är ett vanligt jourfall. Beskriv hur Du handlägger en i övrigt frisk 38 årig man med detta problem på akutmottagningen samt 3 vanliga diffentialdiagnostiska övervägandena.
I akutskedet oftast distinkt öm precis nedanför laterala malleolen. Svullnad samma ställe som ju längre tiden går sprider sig över hela lateralsidan av fotleden, ibland ändå mer.
Viktigt att palpera både lateral och medialsidan av fotleden samt hela foten och hela fibula. Vid frakturmisstanke skall rtg göras. Vanligast är skada på lig FTA. Differentialdiagostiska överväganden är fotledsfraktur, peroneusseneluxation, achillesseneruptur, metatarsale V fraktur.
Fråga 2012-6 5p
Kvinna 57 årig tidigare frisk kvinna som inte tidigare har haft några problem med sina knäleder. En dag under vårens trädgårdsarbete känt smärtor i vänster knäled. Söker efter några dagar som jourfall då smärtorna snarast tenderar att öka. I status finner du lätt hydrops. Lätt rörelseinskränkning vänster jämfört med höger knäled. Lätt till måttlig ömhet medialt. Normal SR och CRP.
a. Differentialdiagnoser? (1p)
b. Hur handlägger Du patienten vid detta besök? (2p)
c. Hur utreder man ytterligare om patienten återkommer pga tilltagande besvär efter ett par veckor? (2p)
a. Troliga diagnoser är degenerativ meniskruptur/artros, spontan knäledsosteonekros eller insufficiensfraktur.
b. Noggrant knä- och höftstatus eventuellt slätröntgen och patientinformation om möjliga diagnoser. Smärtlindring och aktivitetsråd.
c. Vidare utredning med MR kan vara

indicerad speciellt för att kartlägga en eventuell osteonekros. Tc-scintigrafi kan också leda till rätt diagnos.
Fråga 2012-7 5p
På vilket sätt påverkas valet mellan de i Sverige vanligaste förekommande polerade respektive opolerade (matta) typerna av stam utfallet efter total- respektive halvprotes mätt som revisionsorsak?
En matt stam är mer känslig för rörelser av stammen i cementmanteln då det kan uppstå slitage mellan stam och cement. Storleken och effekterna av detta slitage ökar om stammen är liten och kan ge kliniska effekter om i form av osteolys och lossning. Man bör därför undvika att använda matta cementerade stammar av liten storlek. Ett exempel är yngre patienter med hög aktivitet som har en smal märghåla kombinerat med en kraftig femurkortex. En polerad stam ger tack vare sin jämna yta upphov till mindre slitage och tillåter användande av små storlekar utan ökad risk för lossning. Detta problem gäller framför allt vid totalprotesoperationer, men bör också beaktas vid operation med halvprotes när det gäller yngre patienter med längre förväntad livslängd Vid användande av polerad stam är risken för periprotesfraktur ökad vilket har påvisats både för av hel- och halvprotes
Fråga 2012-8
3p
38-årig man som inkommer efter ett fall mot utsträckt arm, ömmar över distala radius och handroten. På misstanke radiusfraktur göres rtg som visar denna bild.
a. Diagnosmisstanke? (1p)
b. Vidare utredning? (1p)
c. Behandling? (1p)
a. Scapholunär dissociation.”Terry Thomas” sign; vidgning mer än 3 mm, ökad scapholunär vinkel
b. Ev provokationsröntgen.
c. Akut behandling med scaphoideumgips inkl tummens basfalang, inom 3 veckor kan öppen reposition och ligamentsustur göras, alt sluten reposition och stiftning.
Fråga 2012-9
3p
5-årig pojke som sedan en månad haltat och verkat ha ont i höger fot. Inget trauma, ingen feber eller infektion. CRP u.a.
Pojken verkar frisk men går med hälta och vill inte avveckla steget riktig med höger fot. Vid klinisk undersökning finner man måttlig ömhet över mellanfoten. Rörelseomfånget i fotleden och subtalärt är normalt.
Rtg , v.g. se bild.
a. Diagnos? ( 1p)
b. Behandling ? (1p)
c. Naturalförlopp ?(1p)

Fråga 9.
a. Mb. Köhler 1 ( avaskulär nekros av os naviculare)
b. Hålfotsinlägg eller en tids behandling med gånggips brukar lindra besvären, som försvinner inom några månader.
c. Till skillnad från avaskulära nekroser på andra lokalisationer restitueras konfigurationen av os naviculare spontant. Röntgenbilden normaliseras inom loppet av några år och sjukdomen ger inga sena komplikationer.
Fråga 2012-10 3p
a. Vad är en s k CAM-lesion? (1p)
b. Vilka symtom kan en patient ha med en sådan lesion? (1p)
c. Vilka är de röntgenologiska undersökningsfynden? (1p)
a. CAM-lesion kan vara en orsak till femuroacetabulär impingement (FAI) där man har en påbyggnad på collum femoris främre övre omfång.
b. Symtom kan vara höftsmärta och inskränkt rörlighet, ssk flexion men även inåtrotation och adduktion.
c. På slätröntgen eller CT, alternativt MR ses ”Pistol-grepps-deformitet”, benpåbyggnad vid övergång superiort mellan caput-collum och förlust av sfäriciteten av caput femoris.
Fråga 2012-11 3p
Socialstyrelsens föreskrifter om basal hygien inom hälso-och sjukvården syftar till att minska antalet vårdrelaterade infektioner. (SOFS 2007:19)
Föreskrifterna gäller personal vid undersökning, vård och behandling eller annan
direktkontakt med patienter.
Ange vad som gäller angående arbetsklädsel, desinfektion av huden och när skyddsutstyrsel skall användas.
Arbetskläderna kortärmade, kläderna bytas dagligen eller oftare vid behov. Händer och underarmar utan smycken eller armbandsur.
Händerna skall desinfekteras med alkoholbaserat desinfektionsmedel både före och efter direktkontakt med patient, detta gäller även före och efter påtagning av skyddshandkar.
Engångs plastförkläde och skyddshandskar skall användas om det är risk för att arbetskläderna kommer i kontakt med kroppsvätskor eller annat biologiskt material.
Fråga 2012-12 3p
Du assisterar vid en total knäartroplastik på en patient med 10 graders varusställning och lika stor sträckdefekt preoperativt. Operatören har gjort samtliga sågningar. När ni testar leden med insatta provkomponenter noterar du god stabilitet i flexion och oacceptabelt stor sträckdefekt. Operatören frågar Dig hur man kan åtgärda detta. Beskriv i ordningsföljd de åtgärder som kan göras för att förbättra sträckningen utan att försämra stabiliteten i flexion.
1. Avlägsnande av eventuella bakre osteofyter.
2. Ytterligare lösning av bakre kapseln .
3. Om dessa åtgärder inte hjälper kan man överväga att förflytta femurkomponenten proximalt genom att förlägga distala femursågningen några mm längre proximalt.
Fråga 2012-13 3p
Vad ingår i WHO´s checklista för operation och vad är syftet med den?
Identitetskontroll
Sterilitet verifierad
Presentation närvarande
Rätt utrustning
Sidomarkering
Alla mediciner givna
Presentation procedur
Avslut
Patientsäkerhet
Fråga 2012-14 3p
50 årig man som två år tidigare opererats

med en ocementerad protes. Han blev aldrig smärtfri efter operationen. Söker på grund av lårsmärtor som förvärras vid belastning. Daglig hög analgetikakonsumtion. CRP 7 (normalvärde <5). Använder 1 kryckkäpp.
a. Vilken diagnos bör du misstänka i första hand? (1p)
b. Motivera ditt svar och ange förslag till behandling. (2p)
a. Patienten har smärtor både i vila och vid belastning. CRP är antytt förhöjd. Protesen har en bred zon proximalt. Det föreligger en breddökad kortex och uttalade periostala pålagringar.
Mycket talar för en djup och lågvirulent infektion. (1 p). (Stammen är sannolikt lös även om man inte kan se någon säker sjunkning. Cupen sitter troligen fast eftersom man inte ser någon zon)
b. Man bör göra en ledpunktion och odla helst vid två efterföljande tillfällen (1p). Härefter protesbyte (1p). Om agens inte är känt bör revision utföras i två seanser.
Fråga 2012-15 3p
Vad är Rissers tecken och vilken praktisk användning har det? (3p)
Rissers tecken avspeglar mineraliseringsgraden av cristaapofyserna och indelas i fem stadier där stadium 1 innebär att den laterala ¼ delen är mineraliserad, stadium 2 hälften, stadium 3 3/4 delar och stadium 4 att hela apofysen är mineraliserad. Vid stadium 5 föreligger en komplett osseös fusion; kan ibland vara svårt att avgöra om det föreligger en mineralisering överhuvudtaget eller stadium 5. Rissers tecken avspeglar kotpelarens resterande tillväxt och är ett vanligt använt hjälpmedel för att bedöma återrisken för en skolios att progrediera.
Fråga 2012-16 3p
35 årig man som ådragit sig en skada av höger fot vid MC-olycka. Vid undersökning finner du att foten är svullen samt att det finns ett plantarhematom. Diffus ömhet över fot + fotled. Röntgen fotled ua. Röntgen fot: se bifogade bilder.
a. Vilken skada har inträffat? (1p)
b. Kompletterande utredning? (1p)
c. Behandling? (1p)
a. Hematomet i fotsulan och röntgenbilden talar för en allvarlig skada och att man bör misstänka en skada av Lisfrancs led. Denna

En tunn, fjäderlätt (vikt: 402 gr) och funktionell OA ortos som hjälper din patient till ett aktivare liv
Indikationer
Används vid måttlig enkammarartros
Ger patienten smärtlindring, rörelsefrihet och möjlighet till ett aktivare liv
Formbar Magnesium
Möjliggör individuell anpassning
Den tunna konstruktionen gör skenan lättare att anpassa i vardagen
Gör ortosen fjäderlätt men stabil
Kliniskt beprövad teknologi
För effektiv smärtlindring och ligament stabilitet
OA Nano™ innehåller DonJoys kliniskt beprövade*
3-punkts teknologi som förflyttar belastningen från det degenerative området till den friska ledkammaren.
DonJoys 4-punkts system ger ligamentstabilitet.

*Matthew Nadaud, Richard Komistek et al, 2006 (JBone Joint Surg AM, 87.114-119, 2005)



Caroline Andersson
Mobil 0761-30 57 70
Dalarna, Värmland, Västmanland, Södermanland, Östergötland, Gotland, Gävleborg (tillf.)

Helene Garpefors
Mobil 0730-43 70 20
Stockholm (söderort+norrort), Uppsala, Västernorrland (tillf.)

Therese Stenlund
Mobil 0703-35 13 41
Stockholm (västerort + innerstan), Örebro, Jämtland (tillf.)

3-Punkts avlastning
Flyttar knäledsbelastningen från det degenerative området till den friska ledkammaren
1: Belastningen förflyttas över till den friska ledkammaren
2: Flyttar mekaniskt över vikten från det degenerativa området

Kim Forsell
Mobil 0702-09 71 19
Västra Götaland, Halland, Kronoberg, Jönköping, Västerbotten (tillf.)

Florin
Mobil 0702-20 24 64
Blekinge, Kalmar, Skåne, Norrbotten (tillf.)

skada missas eller misstolkas ofta och ger obehandlad lätt upphov till bestående besvär.
b. Undersökningen bör kompletteras med CT.
c. Reposition och operativ fixation alternativt artrodes av skadade leder.
Fråga 2012-17 3p
7-årig pojke som för fyra veckor sedan fallit från ett träd och ådragit sig en suprakondylär humerusfraktur av extensionstyp, grad 3. Opererades med sluten reposition till anatomiskt läge, frakturen fixerades perkutant med ett stift från vardera ulnar och radialsidan. Preoperativt oförmåga att aktivt flektera i tummens IP-led och pekfingrets DIP-led, men svårvärderat p.g.a. smärta. Radialispuls, perifer kapillär återfyllnad normal.
Postoperativt ej smärtpåverkad och f.ö. okomplicerat förlopp.
Bilden visar höger hand vid avgipsning och stiftextraktion 4 veckor postoperativt.
a. Vilken komplikation föreligger ? (2 p)
b. Vad göra nu? (1p)
a. AIN pares, dvs. pares av n.medianus främ-
re interosseus gren (2p).
Svar ” N. medianuspares” (1 p).
b.Expectans. Komplett regress kan förväntas inom 4 månader.(1p)
Fråga 2012-18 3p
Vad innebär artrosskola, hur utvärderas den och vilka effekter har denna åtgärd?
Artrosskolan bygger på befintlig evidens om att ett aktivt omhändertagande av patienter med höft- eller knäledsartros kan påverka symptomen i positiv riktning. Mycket talar för att detta koncept också påverkar behovet och resultat av ett eventuellt framtida protesingrepp. Artrosskolan innebär information om sjukdomen, och vad man själv kan göra för att lindra besvären och påverka sjukdomens förlopp i positiv riktning. Artrosskolan leds av en sjukgymnast. Vid tre olika besök ges information om sjukdomen, riskfaktorer, behandlingsalternativ samt råd om träning och egenvård. Dessutom träffar patienten en ”expertpatient” som genomgått en speciell utbildning för att på ett så pedagogiskt och bra sätt som möjligt kunna dela med sig av sina erfarenheter.

På frivillig bas kan patienten få ett individuellt träningsprogram som utformas med hjälp av sjukgymnast och kan dessutom delta i ett träningsprogram i grupp under 6 veckor. Vid utvärderingen som görs efter 3 månader och 1 år används EQ5D, VAS smärta samt ett instrument som bedömer tilltro till egen förmåga att kunna påverka smärta (Arthritis Self-Efficacy Scale).
Fråga 2012-19 3p
Vad innerveras av nervus suprascapularis?
M supraspinatus.
M infraspnatus.
Sensibilitet kring GH- och AC-led.
Fråga 2012-20 2p
1. Vad kallas denna ortos? (1p)
2. Vad används den till? (1p)
a. Denis-Browne skena eller ”foot abduction brace”
b. I behandlingen av PEVA ( pes equino varus adductus, klumpfot).
Fråga 2012-21 2p
Medelålders motionär som kommer haltande efter att dagen innan fallit under löpträning, ca 1 m höjd. Patienten kan gå, har vätska i leden och är svår att stabilitetstesta. Rtg visar denna bild:
a. Vad kallas skadan? (1p)
b. Vilka associerade skador kan man förvänta sig? (1p)
a. Segond-fraktur
b. Ofta kombinerad med ruptur av främre korsbandet.
HANS MALLMiN utbildningsansvarig SOF

Är SOF-mötet ett forum även för yngre blivande ortopeder? Jamen
absolut! I år var mötet dessutom extra inriktat på de yngre ortopederna som är i början av sin karriär.
Professor Li Felländer-Tsai talade om hur viktigt det är att blivande ortopeder får träna sina färdigheter i simulator. Det är väldigt utbrett inom andra professioner som ansvarar för människoliv, exempelvis flyget och bilindustrin, medan vi ortopeder fortfarande tränar på patienterna.
Ämnet «Hot Topics” hade ändrat infallsvinkel en aning för att inte vara för likt ”Unga Forskare”. Föreläsningarna var mindre formella och uppstyltade och i stället mer personliga.
Malin Carling, ST-läkare, Sahlgrenska sjukhuset, berättade på ett humoristiskt och självutlämnande sätt om vad det kan innebära för en småbarnsförälder att börja forska. Som att man till exempel inte hinner hem till fredagsmyset för att man är kvar på labbet och jobbar över.
Hon ingav mod och inspiration att våga välja ett forskningsområde i gränslandet mellan ortopedin och andra specialiteter och att inte vara rädd för att låta dum när man ringer och frågar kollegor med andra expertområden. Hennes eget ämne om koagulationens betydelse inom ortopedisk kirurgi ligger nära
både specialiteterna anestesiologi och koagulation. Samtidigt är koagulation och hemostas en grundförutsättning för att vi ska kunna operera.
Sedan var det Paul Gerdhems tur att berätta för oss om varför man ska forska som ST-läkare trots att man helst bara vill lära sig operera. På ett entusiasmerande sätt levererade han flera bra argument. Exempelvis lär man sig kritisk hållning, vilket leder till större försiktighet när man bedömer andras artiklar och introducerar nya implantat på marknaden. Forskning är till för dig som tror att vi kan göra något bättre än vi redan gör. Forskning kan samtidigt vara bra för karriären och ekonomin och göra det lättare att motivera för chefen att man ska få åka på kongresser och möten.
Nästa programpunkt var Epiphysens uppskattade klassiker ”För och Emot”.
Med massor av humor bjöd kombattanterna på stand-up-comedy värdig att visas på bästa sändningstid i TV. Den mindre och mysigare bar-känslan gjorde att de tävlande vågade ”lossa på flugan” och bjuda på sig själva. I argumenteringen lyftes forskningsresultat fram på ett färgstarkt och kortfattat sätt. Debatörerna
använde humor och karisma såväl som saklighet för att övertyga, riktigt underhållande!
Först ut var Sylvia Resch och Håkan Magnusson i ”För och emot skruvens användning vid Hallux valgus-operation”. Därefter var det Olle Svensson och Göran Garellick som hade en viktig debatt om ”register”, är det bara till godo eller kan det gå för långt?
Dagen avslutades med Epiphysens årsmöte och efterföljande middag. Det var ett ovanligt högt deltagande i år vilket vi är mycket glada för. Vi vill säga stort tack till de avgående styrelseledamöterna Gustav Trehn och Kim Stranger för ett mycket bra arbete. Vi vill även gratulera er alla som klarade ortopedexamen. Epiphysen fortsätter jobba på att växa sig större och locka till sig fler medlemmar. Om du är ST-läkare inom ortopedi och medlem i SOF är du automatiskt medlem i Epiphysen. Vi vill uppmuntra alla till att komma på nästa årsmöte i Uppsala. Det är roligt att vara med.
ANNA MAcDOWALL ledamot Epiphysen cAMiLLA BERGH ordförande Epiphysen
European Calcified Tissue Society:

När ECTS i maj höll sitt 39:e årliga forskningsmöte under den för sta riktiga varma försommarhelgen behövdes vare sig allsång från Skansen med Zelmerlöv, Lundin eller Berghagen, inte heller visnostalgi från Vita Bergen med Carl Anton, för att lyfta fram Stockholm som en av de vackraste huvudstäderna i Europa.
Av Magnus Karlsson och Hans Mallmin
littrande vatten i Riddarfjärden tillsammans med lättklädda sommarflanörer och turister som i det senaste i solglasmode lapade glass i Gamla Stan, utgjorde ett pit-
toreskt inslag som de internationella gästerna värdesatte högt. Att det dessutom var doppådrag för prinsessan Estelle minskade inte glansen, i alla fall inte på Aftonbladets och Expressens löpsedlar.
I konkurrens med denna flärd hade arrangörsstaben med bl.a. Kristina Åkesson från Malmö och Karl Michaelsson från Uppsala i framträdande roller, lyckats inte bara ordna ett uppskattat socialt program utan även ett tillta-
lande och varierat vetenskapligt program. Under fem dagar diskuterade ”benforskare”, från inte bara Europa utan jordens alla hörn idéer, osteoblaster, RANK-ligands, Denosumab, kortikal porositet och frakturer, allt medan man knöt kontakter inför framtiden.
Funderingar om mötets utformning
Med under senaste decennierna ökande andel möten måste man ändå ifrågasätta om fem dagar är den ideala längden för ett europeiskt benmöte. I jämförelse med ECTS mötet i Köpenhamn 2007, där det var 3000 delegater, var motsvarande siffra i år strax under 1500. Det minskade antalet mötesdelegater är en trend som många andra vetenskapliga möten har upplevt.
Enligt direkta uppgifter från ECTS:s arrangörsstab beror detta dels på att det är svårare att få kostnadstäckning för den enskilde presentatören men kanske främst beroende på att firmorna som förr ordnade gruppresor för kliniskt verksamma doktorer, nu nästan helt har upphört med detta. Som en följd av det sviktande deltagarantalet har det amerikanska benmötet i år kortat sin kongress med en dag och personligen tror jag även att ECTS årsmöte skulle må bra av detta.
Då många kliniskt verksamma doktorer i dag har tio utbildningsdagar per år betalda av landstingen kanske man inte prioriterar att lägga hälften av dessa på en forskningsinriktad kongress. Antal ortopeder på mötet var också minimalt. Om man i stället kortade mötet till två eller tre dagar och fokuserade på vissa frågor och tydliga nyheter torde mötet vinna i såväl tyngd och skärpa som deltagarantal. Kanske skulle då också en och annan yngre ortoped hitta hit för att bredda sitt ortopediska tänkesätt och kanske då också presentera egna forskningsdata.
Internationella rekommendationer för utredning och behandling av osteoporos
Vad var det då som väckte debatt på årets möte?
Många av sessionerna, speciellt de läkemedelssponsrade, diskuterade rekommendationer för utredning och behandling av osteoporos. När skall vi börja utreda? När skall vi behandla? Hur skall vi behandla? Hur länge skall vi behandla? Är det kostnadseffektivt? Vilka mediciner skall vara förstahandspreparat?
Men, när man i dessa symposier går igenom evidensen för behandlingsstrategier så saknas i många fall stöd med hög evidensgrad. De stora
randomiserade studierna med antiosteoporosbehandling är utmärkt forskning, men de kan bara ge svar på lämplig behandling i de grupper man undersökt. När man vid ett av symposierna gick igenom behandlingsstrategier vid steroidorsakad osteoporos eller manlig osteoporos är data betydligt mindre evidensbärande. I många fall känner man därför att rekommendationerna närmast får klassificeras som ”consensus among experts”. Att då, som nu via ECTS, försöka komma överens om gemensamma europeiska riktlinjer blir ju med tanke på ländernas olika ekonomisk styrka, tradition och tillgång till benmätare näst intill omöjligt.
Trots det har man inom ECTS försökt nå en samsyn och rekommendationer rörande behandling och utredning av manlig osteoporos och steroidorsakad osteoporos som publicerats i tidskriften JCEM juni 2012.
Kortikal porositet – en ny viktig dimension att utvärdera i skelettet
Var det något som framträdde som i ropet just nu så var det utvärdering av kortikal porositet. Med de nya högupplösande perifera datortomograferna kan man nu värdera strukturer som man tidigare inte haft möjlighet att visualisera.
Exempel på detta är värdering av enskilda trabekler, dess antal och tjocklek samt graden av porositet i kortikalt ben. Någon studie påstod att långa personer har en högre grad av kortikal porositet än förväntat, något som skulle kunna förklara den ökade frakturrisken hos högresta individer. Om detta fynd gäller generellt är väl tveksamt, och ytterligare studier krävs innan vi vet svaret. Man visade även att den kortikala porositeten ökar dramatiskt med ökande ålder, mer hos kvinnor än hos män. Detta skulle kunna vara en av anledningarna till att kvinnor ha fler frakturer än män. Dessutom framfördes flera föredrag som visade att antiosteoporosmedicinen Denosumab möjligen skiljer sig från bisfosfonatgruppens preparat genom att den penetrerar bättre in i de kortikala porerna och fyller håligheterna mer komplett, medan bisfosfonaterna mer skulle verka på ytan. Även detta bör dock utredas vidare och man måste också värdera om den eventuella skillnaden även ger upphov till klinisk relevanta skillnader.
Nya svenska rekommendationer
På tisdagskvällen släpptes också de nya svenska rekommendationerna för utredning
och behandling av osteoporos, som arbetats fram av en grupp i Socialstyrelsens regi. Mattias Lorentzon, geriatriker från Göteborg och ordförande i Svenska Osteoporossällskapet, presenterade då vad expertgruppen enats om. Rapporten har brett sammanfattat data inom fältet när den konkluderar att baserad på öppna jämförelser 2009 har endast 23 procent äldre individer erhållit profylaktisk läkemedelsbehandling efter en fraktur för att förebygga nya frakturer. Denna siffra borde enligt rapporten i stället ligga på 60–70 procent. Utifrån data som visar att det årligen behandlas ca 32 000 osteoporosrelaterade frakturer i sluten vård hos individer över 55 års ålder, skulle detta innebära att ytterligare minst 15 000 patienter (cirka 50 procent av 32 000) borde behandlas. Om man dessutom tar med frakturer behandlade i öppenvården torde det sanna antalet närmare ligga på 20 000 individer.
10-procentig minskning av frakturerna möjlig
Om denna grupp behandlas med bisfosfonater, då enligt rekommendationer i form av alendronsyra och zoledronsyra, skulle antalet frakturer kunna minskas med cirka 18 procent beräknat utifrån att bisfosfonater minskar frakturrisken med 35 procent (för höftfrakturer). Om man tar med bristfällig följsamhet till behandlingen i beräkningen kan man uppskatta minskningen av antalet frakturer till 10 procent.
I det förebyggande arbetet bör vi alltid arbeta för att öka muskelstyrka, koordination och balans för att på så sätt kunna förebygger fall och möjligen frakturer. Detta kan ske genom viktbärande balans- och konditionsträning, såsom promenader eller joggning samt styrketräning. Men träningen måste givetvis anpassas till ålder och funktionellt status. Dessutom bör man om möjligt öka bentätheten. Vid misstankar om osteoporos rekommenderas att man bör bedöma frakturrisken med hjälp av det så kallade FRAX-verktyget (”Fracture Index” eller FRAX (http://www.shef.ac.uk/FRAX/), ett verktyg som finns fritt på internet och som bedömer 10-årsrisken för fraktur baserat på ett antal kända riskfaktorer. Detta bör alltid göras vid genomgången fraktur eller om man vid en DXA- mätning finner ett bentäthetsvärde med ett T-scorevärde på <-2 för att avgöra behovet av frakturförebyggande behandling.
Med den informationen blir det också lättare för patienten att acceptera eller avstå från antiosteoporosmedicinering.
Vi bör mäta bentätheten i höft och ländrygg

läkemedlen
Som ovan nämnts belystes, när de nationella riktlinjerna presenterades, tydligt att behandling av osteoporos är effektiv i den aspekten att medicinering minskar frakturrisken. Mest dokumenterat är behandling med bisfosfonater, givet i tablettform en gång i veckan eller som en årlig infusion (Zoledronsyra, Aclasta®). Bisfosfonater binder till ben och försämrar osteoclasternas funktion och överlevnad.
I den s.k. HOTIZON-PFT-extension studien redovisades på mötet att de patienter som efter tre år med placebo hade förlorat mest i bentäthet fick den största ökningen när de sedan
Ett relativt nytt alternativ att motverka osteoporos är att använda en subcutan injektion var 6:e månad med en monoklonal antikropp (Denosumab, Prolia®), ett preparat som förhindrar RANKL att binda till RANK, en receptor på osteoclastytan, som då hindrar osteoclasternas funktion. Inom FREEDOM-studien (n=7686) visades att subcutana injektioner med Denosumab var 6:e månad under tre år resulterade i ökad BMD, minskad benomsättning och minskad frakturrisk. Denna studie fortsätter nu som en öppen långtidsstudie i 10 år (n=4550) där hälften fortsätter med aktiv behandling och de som tidigare fått placebo nu får aktiv behandling. Sex år efter studiestarten
dien fick aktiv behandling från studiestarten. Noteras bör också att två individer i behandlingsgruppen och två i kontrollgruppen drabbades av osteonekros i käken (”Osteonecrosis of the Jaw” eller ”ONJ”) medan inga fall av atypiska subtrochantära frakturer uppkom.
Dagliga subcutana injektioner med parathyroidea-hormon stimulerar i stället benbildning via effekt på osteoblasterna. Denna behandling är dyr och rekommenderas därför bara till särskilt utvalda patienter med hög risk för kotfrakturer. På detta mött redovisades inga specifika nyheter rörande denna typ av behandling.
Genom studier av genetiska skelettsjuk-
domar har nya mekanismer för att påverkar osteoclaster och osteoblaster identifierats. Cathepsin K är ett enzym som reglerar hur den mogna osteoclasten resorberar collagen och ben. Odanacatib, en cathepsin K-hämmare, både dämpar utan att leda till apoptos osteoclastens benresorption samtidigt som den stimulerar osteoblasten till benbildning. Detta fenomen benämns ofta ”uncoupling”. Denna potentiella medicin prövas nu i Fas 3-studier med mer än 15000 patienter. Cathepsin Khämmaren Odanacatib redovisades på mötet testat på 214 postmenopausala kvinnor i en placebokontrollerad studie med en veckotablett under två år, en studie där man noterade klar ökning av BMD mätt med både dual energy X-ray absorptiomtry (DXA) och kvantitativ datortomografi
Anabol effekt
Ett annat angreppssätt som prövas är att åstadkomma en anabol effekt via osteoblasterna genom att påverka ”Wnt-signaling”-systemet. Det är ett system där endogena substanser, t.ex.
sclerostin och Dkk-1 hämmar osteoblastfunktion. Antikroppar som binder sclerostin kan då förhindrar sclerostins hämmande osteoblastfunktion. Fas 2-studier med denna drog pågår och data verkar så här långt lovande. Sclerostin-antikroppen AMG785 givet som en subcutan injektion var 14:e dag redovisades på mötet ge både ökad benbildning och endostalt minska benresorption, i alla fall på apor. Vidare redovisades i en fas-2 studie på 48 friska män och postmenopausala kvinnor att 6 injektioner givna var 14:dag ökade biokemiska markörer för benbildning med 100% medan benresorptionen reducerades med ca 30%, något som redan efter 18 veckor medförde en 7% ökning av benmassan, en anmärkningsvärd ökning i jämförelse med bisfosfonaternas effekt. Dessutom fann man inga allvarliga biverkningar. I ytterligare en studie lyftes sclerostin-antikroppar fram som en framtida möjlig behandling när man redovisade att medlet ökade benmassan och minskade antalet frakturer, i alla fall om man tittar på bäckenfrakturer och hos råttor!!!. När man som deltagare slutsummerar mötet önskar man att staden
hade haft kongressresurser som tog vara på den vackra Stockholmsnaturen på ett annat sätt än vad det opersonliga Älvsjöområdet gör. Miljöns betydelse för helhetsupplevelsen underströks ytterligare av mottagandet banketten på VASA-muséet erhöll.
Kortare möten ger bättre kvalitet
Man måste också tillstå att mycket av det som redovisats på mötet är inriktat på forskning. Men speciellt på de industrisponsrade symposierna diskuterades frågor av stort intresse för icke forskande kollegor, främst då rörande behandlingsalgoritmer. Min personliga åsikt är även att mötet skulle vinna på att kortas i tiden, både rörande kvalité samt deltagarantal.
För de som funderar på att besöka ECTS 40:e årsmöte, hålls detta den 18-21 maj 2013 i Lissabon.
HANS MALLMiN utbildningsansvarig, SOF
MAGNUS KARLSSON vetenskaplig sekreterare, SOF
Högklassig kvalité
Kort scanningstid
12 minuter för en komplett knä-undersökning
Alla avancerade sekvenser: FastSpin Echo, Xbone, 3D steady state
Utmärkt patientkomfort
Stort gantry ger möjlighet att undersöka i flera olika vinklar

Alla har plats för en O-scan - endast 9 kvm





extremt bra upplösning
extremt låg investering
extremt lätt att installera
extremt lätt att använda


Röntgenbilden visar ett inte helt ovanligt tillstånd, en tillväxtrubbning i handleden som oftast drabbar unga kvinnor. Vad kallas denna missbildning och vem var mannen som gav namn åt den?


Vi fick inte in ett enda rätt svar på denna kluriga fråga. Många svarade ”Pigmenterad villonodulär synovit, PVNS” och det liknar till utseendet det tillstånd vi frågade efter, ”Lipoma arborescens”.
En skillnad är att förändringarna vid PVNS är mörkfärgade så som namnet antyder. Lipoma arborescens ger bleka korall- eller trädliknande utväxter med en patognomon stark fettsignal på T1 sekvens MRI till skillnad från PVNS med sin karakteristiska hemosiderininlagringar. Arbor är latin för ”träd”.
En ledtråd vi gav var den fingerade referensen ”Björkegren&Almdahl 2012” som skulle associera till just träd.
Skicka ditt svar till redaktionen senast 5 november. Fem vinnare lottas bland dem som svarat rätt. Priset är SOF:s armbandsklocka.
ANDERS WyKMAN
Anatomica AB
Stora Åvägen 25 436 34 ASKIM
Kontakt: Sverker Stomberg sverker.stomberg@anatomica.se www.anatomica.se
Arthrex Sverige AB Hammarby Kaj 16 120 30 STOCKHOLM
Kontakt: Johan Karlsson johan.karlsson@arthrex.se www.arthrex.se
Bayer AB, Bayer Schering Pharma Box 606 169 26 SOLNA
Kontakt: Andrea Kern Andrea.kern@bayerhealthcare.com www.
Biomet Orthopaedics AB Box 306 201 23 MALMÖ
Kontakt:Anders Hahn anders.hahn@biomet.com www.biomet.com
Boehringer ingelheim AB Box 47608 117 94 STOCKHOLM
Kontakt: Eva Miller eva.miller@boehringer-ingelheim.com www.boehringer-ingelheim.se
ceramTec
Klippan IJ 414 51 GÖTEBORG
Kontakt: Anders Hedlund a.hedlund@ceramtec.se www.ceramtec.com
De Puy a Johnson & Johnson company 191 84 SOLLENTUNA
Kontakt: Mikael Tunedal mtunedal@its.jnj.com www.depuy.com
Erimed international KB Box 5028
141 05 HUDDINGE
Kontakt: Robert Jansheden robert.jansheden@erimed.se www.erimed.se
Heraeus Medical Nordic AB Box 437 191 24 SOLLENTUNA
Kontakt: Sven Caspersson sven.caspersson@heraeus.com www.heraeus-medical.com
KARL STORZ ENDOSKOP SvERiGE AB Box 8013 141 08 KUNGENS KURVA
Kontakt: Pär Magnusson par.magnusson@karlstorz.se www.karlstorz.com
Link Sweden AB Box 180 184 22 ÅKERSBERGA
Kontakt: Kjell Thor kjell.thor@linksweden.se www.linksweden.se
Linvatec Sweden AB Datavägen 10 D 436 32 ASKIM
Kontakt: Maria Hillinge mhillinge@linvatec.com www.linvatec.com
ORTOTEcH
Kokbjerg 9
DK-6000 KOLDING
Kontakt: Karen Amdi ka@ortotech.com www.ortotech.com
RSA Biomedical AB Box 7972 907 19 UMEÅ
Kontakt: Per Grundström per.grundstrom@rsabiomedical.se www.rsabiomedical.se
Sectra imtec AB Teknikringen 20 583 30 LINKÖPING
Kontakt: Ulrika Vach Ulrika.vach@sectra.se www.sectra.com
Smith & Nephew AB Box 143 431 22 MÖLNDAL
Kontakt: Joachim Andersson joachim.andersson@smith-nephew.com www.smith-nephew.com
Synthes AB
Korta Gatan 9 171 54 SOLNA
Kontakt: Stina Winqvist info.se@synthes.com www.synthes.com
TOUL Meditech AB Tunbytorpsgatan 31 721 37 VÄSTERÅS
Kontakt: Tomas Hansson info@toulmeditech.com www.toulmeditech.com
Zimmer Sweden AB Industrivägen 4 433 61 SÄVEDALEN
Kontakt: Jan Hultberg jan.hultberg@zimmer.com www.zimmer.com
össur Nordic AB Box 67 751 09 UPPSALA
Kontakt: Magnus Lilja mlilja@ossur.com www.ossur.com
Olof Lindén, Helsingborg, Lotta Kettil, Lidköping, Malcolm Anderson, Värnamo, Khadijah Rosén, Skövde, Narine Hakopian, Nyköping, Maria Isakson, Jönköping, Maria Möllerström, Karlstad, Kutaiba Salman, Danmark, Amal lexi Ali, Stockholm, Martin Granath, Kristianstad, Joakim Palmquist, Skövde, Hanna Parknäs, Helsingborg, Anders Brüggemann, Uppsala, Gustav Kalin, Ljungby, Evelina Pantzar, Örebro, Muhanned Ali, Kristianstad, Daniel Reiser, Eskilstuna, Johan Widerström, Gällivare
Höft- och ljumskbesvär är mycket vanliga och beror oftast på artros i höftleden. De senaste årens utveckling har skapat allt större uppmärksamhet på höftbesvär hos unga idrottsutövare. Höft- och ljumsksmärta kan vara mycket svår att tolka och behandla, vilket i stor utsträckning beror på höftens komplicerade anatomi. Sammantaget är kunskapen om höftbesvär som inte är relaterad till artros begränsad.
Av Mikael Sansone, Mattias Ahldén, Páll Jónasson, Jon Karlsson, Johan Sandberg och Leif Swärd
Operativ behandling av förändringar (artros/förslitning) i höftleden har begränsats till ersättning av de slitna ledytorna hos patienter med artros, det vill säga artroplastik. Det har tidigare saknats vetenskapligt underlag för behandlingseffekt av någon annan operativ behandling än artroplastik. De senaste åren har dock kunskapen avseende så kallad femuro-acetabulärt impingment (FAI) ökat med tillkomst av nya studier [3]. Nya operativa behandlingsmetoder av höftledssmärta innefattar framför allt artroskopisk höftledsoperation. Denna teknik har de senaste åren snabbt skapat helt ny kunskap. Möjligheten att diagnosticera och behandla höftsmärta har ökat med tillkomsten av höftartroskopi. Dock är höftartroskopi en svår operation med lång inlärningskurva.
Svårtolkad smärta
Höft- och ljumskbesvär är vanliga symtom, framför allt hos äldre, som ofta har besvär på grund av artros i höftleden[1]. De senaste åren har dock höftbesvär, inte minst hos unga idrottsutövare uppmärksammats i allt större utsträckning. Smärta i höft- och ljumskregionen kan vara mycket svår att tolka och följaktligen behandla, inte minst på grund av
höftens komplicerade anatomi. Kunskapen om höftbesvär som inte är relaterad till artros är begränsad.
Möjligheterna till operativ behandling av förändringar i höftleden har traditionellt begränsats till ersättning av de slitna ledytorna hos patienter med artros. Denna behandling är vid rätt indikation mycket framgångsrik och varje år behandlas flera tusen patienter i Sverige med artroplastik i höften[2].
Inklämningsproblem
Emellertid besväras många patienter av höftsmärta som inte kan förklaras av artros, framför allt yngre, ofta idrottsaktiva. Detta kan till exempel jämföras med inklämning i axelleden. Nya operativa behandlingsmetoder av höftledssmärta innefattar framför allt nya möjligheter till artroskopisk höftledsoperation[4]. Denna teknik har de senaste åren snabbt skapat helt ny kunskap och tidigare vedertagna begrepp såsom trokanterit, piriformis syndrom, adduktortendinit/tendinos och symfysit ifrågasätts nu alltmer. Med stor sannolikhet finns orsaken till höft och ljumsksmärta oftare inuti leden än vi hittills trott. Möjligheten att diagnosticera och behandla denna ofta mångsidiga symtombild har därför ökat.
Denna artikel syftar till att ge en översikt över den snabba utvecklingen inom detta område samt att redogöra för de vanligaste symtomgivande diagnoserna, som med fördel kan behandlas med höftledsartroskopi.
Artroskopisk behandling av skador/förändringar i knä- och axelled har vunnit stora framgångar allt sedan 1970-talet. Samtidigt ansågs höftleden svårtillgänglig för artroskopi. För cirka 30 år sedan började dock vissa pionjärer använda höftartroskopi vid enstaka begränsade indikationer, framför allt i diagnostiskt syfte och för att extrahera fria kroppar inuti leden[5]. (Se Bild 1).
1999 beskrev Ganz konceptet femuroacetabulärt impingment (FAI)[6]. FAI åtgärdades initialt med en öppen operation efter urledvridning (luxation) av höftleden för att komma åt de sjukliga förändringarna, som förhindrade normal rörlighet i leden. I början av 2000-talet började denna operation utföras i allt större utsträckning med hjälp av artroskopisk teknik. (Se Bild 2) Detta ökade med all säkerhet påtagligt användningsområdet för höftledsartroskopi. Vid jämförelse mellan öppen och artroskopisk behandling av FAI ger

Bild 1. Artroskopisk vy av vänster höft inifrån. 1. Acetabularbrosk 2. Fovea centralis 3. caput femoris 4. Labrum.
artroskopisk teknik både bättre resultat och samtidigt avsevärt mindre risk för komplikationer[7].
Revolution för förståelsen av höftledens anatomi
Allteftersom den tekniska kunskapen har ökat och operationsinstrumenten anpassats har även nya sätt att förstå olika sjukliga förändringar och behandla flera olika orsaker till höftledssmärta visat sig vara möjliga. Den artroskopiska behandlingen av FAI har på relativt kort tid blivit ett rutiningrepp på vissa enheter och har inneburit en revolution för förståelsen av höftledens anatomi och funktion. Antalet vetenskapliga artiklar på området har ökat dramatiskt senaste åren[3, 8-10].
All behandling börjar precis som vid andra ledsjukdomar med en noggrann anamnes och undersökning av ledstatus. Se ”faktaruta för basalt höftstatus”.
Behandling av smärta i höft/ljumske bör alltid riktas mot orsaken. Därför är rätt diagnos grunden till korrekt behandling. Eftersom
radiologisk undersökning av höftleden sällan ger entydiga svar är anamnes och status ofta

Bild 2. Traktion med hjälp av sträck är nödvändigt för att kunna utföra höftledsartroskopi. Tiden med sträck måste begränsas.
avgörande för att kunna ställa korrekt diagnos. Höftens innervation och läge gör att smärta kan förläggas diffust runt leden. Refererad smärta, det vill säga att smärtan förläggs till områden som ligger något ifrån smärtorsaken, är inte helt ovanligt runt höften. Vanligast är att patienten förlägger smärtan djupt inne i ljumsken. Emellertid kan smärtan också upplevas lateralt vid trokanterområdet, baktill i skinkan eller uppåt ryggen, neråt låret eller till om med ner i knät.
Dessa omständigheter kan skapa svårigheter att ställa en noggrann och korrekt diagnos.
Inspektion
Inspektion framifrån och bakifrån av benens och ryggens ställning (alignment)
Benlängdsskillnad upptäcks genom inspektion av bäckenet bakifrån
Gång
Trendelenburgs test
Rörelseomfång
Flexion
Extension
Inåtrotation, med flekterad höft
Abduktion
Palpation
Be patienten peka på smärtande område; föreligger ömhet?
Palpation av adduktorer, trokanterregionen, symfysen, bråckportar, bukmuskulatur och hamstrings
Känselbortfall
Specifika tester
Basal ryggundersökning
Provokation av SI-leden
Belastat benlyft med rak och böjd höft (psoas major test)
Värdering av generell ledlaxitet genom undersökning av andra leder
Kraftmätning av lårmuskulatur
Impingment test
FABERs test

Detta i kombination med mångfalden av olika tänkbara orsaker till höftsmärta gör att höftledsstatus behöver vara komplett. Även om den kliniska bilden som framstår kan vara tydlig bör undersökaren ha en kritisk inställning till diagnosen på grund av höftledens komplexa natur.
Flexion-inåtrotationstest (Impingment test) (Se Bild 4).
Med patienten på rygg flekteras höften till 90 grader med samtidig inåtrotation. Rörelseomfång bör noggrant noteras. Om en tydlig rörelseinskränkning föreligger, samtidigt som det i ytterläget framkallas smärta som patienten känner igen stöder detta diagnosen impingment. Jämför alltid rörligheten med den motsatta sidan. En eventuell medrotation av bäckenet vid ändläget kan leda till att man felaktigt tolkar rörelseomfånget som normalt.
I vissa (sannolikt flertalet patienter) fall föreligger förändringar i båda höfterna, samtidigt som endast den ena är symtomatisk. Normalt är inåtrotationen i höftleden minst 30 grader[11] men vid FAI – beroende på CAMförändring - är den oftast väsentligt inskränkt och kan i vissa fall vara helt upphävd.
FABERS test (Flexion-AbduktionExternal Rotation).(Se Bild 5).
Med patienten i ryggläge läggs den aktuella sidans fot på det motsatta knät, d.v.s. ”figure-offour”-läge. Notera avståndet från det aktuella knät ner till britsen i rörelsens ytterläge. Om stelhet (nedsatt rörlighet) föreligger och patientens symtom framkallas i ytterläget stöder detta misstanken om impingment, beroende på pistolgrip-deformitet. Jämför alltid rörelse-

omfånget med den motsatta sidan.
Femuro-Acetabular Impingment (FAI)
FAI består i att lårbenshalsen eller ledhuvudet slår i kanten på ledhålan (labrum). Detta orsakar ökat tryck på labrum acetabuli, den broskring som omsluter ledhålans kant och fördjupar leden. Labrums normala funktion är att verka som stötdämpare och skapa vakuum vilket ger en sugkoppseffekt. Om det föreligger en icke-sfärisk from av ledhuvudet, med påbyggnader på lårbenshalsen eller en framträdande kant på ledhålan kan kompression uppstå på labrum/broskkomplexet även under normal rörelse av höftleden[12](Se Bild 6). Pålagringar på lårbenshalsen kallas CAM (som kamaxel) och pålagringar på kanten till ledhålan (acetabulum) kallas PINCER.

Bild 6. impingment-mekanismen. a) normal höft b) cAM förändring som ger upphov till impingment c) Pincerdeformitet ger liknande effekt med impingement.
Om patienten belastar i höftens extremlägen som i vissa idrotter, uppstår lättare skador på brosk eller labrum, som i sin tur kan ge upphov till smärta.
Med andra ord, när höften utsätts för impingment, kan brosket på främre acetabularkanten skadas. Detta är en orsak till smärta i leden.
Impingment test samt FABER:s test är de viktigaste tecknen för att kliniskt kunna värdera FAI(Se Bild 4+5). Det är framför allt CAMförändringen på framsidan av lårbenshalsen (ses bäst vid Lauenstein-projektionen på röntgen) som hindrar rörligheten vid flexioninåtrotation och vid FABER’s test en eventuell benpåbyggnad superolateralt på lårbenshalsen (ses bäst på frontalbild).
Orsakerna till de förändringar som ger femuro-acetabulärt impingment (FAI) är oklara. En teori som näms idag är att deformiteten i
frontalplanet orsakas av en subklinisk epifyseolys, där fysen glider medialt/caudalt (denna kallas sen pistolgrip-deformitet). Själva CAMdeformiteten på framsidan av lårbenshalsen kan däremot orsakas av en ökad bentillväxt som svar på kraftig belastning, enligt Wolff´s lag. Liknande svar på överbelastning ser vi vid Schlatter´s sjukdom i knät och Sever´s sjukdom i hälbenet[13]. Problemet förekommer i relativt stor utsträckning hos idrottsutövare som använder sina höfter i ytterlägen, till exempel ishockeymålvakter, fotbollspelare och kampsportidrottare[14, 15]. Om det är dessa aktiviteter som orsakar deformiteten eller om det är dessa idrotter som oftast gör tillståndet symtomatiskt är oklart. Sannolikt är det formförändringen som skapar problemet.
FAI är med största sannolikhet oftast asymtomatiskt i tidigt stadium. När skada inuti leden uppstår, i de flesta fall broskskada och/eller labrumskada, kan kroppen uppfatta detta som skadligt och signalera smärta. Vid artroskopi förekommer nästan alltid skada på brosket på ledytan i acetabulum i direkt anslutning till labrum hos patienter med FAI(Se Bild 7-10). Ibland syns ett så kallat ”vågfenomen” där brosket hänger ner eller är sprucket (se bild 9) eller i värsta fall total broskförlust inom ett mindre område. Stora broskskador kan förekomma även hos yngre patienter. Skadorna ses oftast framtill och lateralt i acetabulum, eftersom det är där den huvudsakliga kompressionen sker[16]. Dessa broskskador kan misstänkas vara korrelerade till smärta.
Radiologisk utredning
CAM, PINCER och/eller dysplasi är sannolikt relativt vanliga orsaker till kronisk höftsmärta. Alla dessa förändringar kan synas på vanlig slätröntgen av höftleden. Vid FAI på grund av CAM sitter förändringen på lårbenshalsens framsida vilket inte visualiseras av de vanliga höftprojektionerna; rak frontal och laterala bildserier. CAM-förändring ses bäst på en specialprojektion av höften som tas med höftleden i en lätt flexion och utåtrotation. (Se bild 11) Liknande projektioner kallas Lauenstein eller Billing[17]. Pistolgrip-deformitet är synlig på en frontal projektion. Vid felaktig röntgenprojektion syns inte eller så underskattas förändringen, varför diagnosen kan missas (Se Bild 12).
1. Femuro-acetabulärt impingment, FAI, är en mekanism och förklaringsmodell för smärta och stelhet i höften.
2. FAI kan ge upphov till broskskada och även labrumskada i höftleden, vilket kan ge upphov till smärta i leden.
3. FAI kan möjligtvis vara en orsak till tidig artrosutveckling i höftleden. Ytterligare studier behövs.
4. Senaste årens ökning av artroskopisk kirurgi i höftleden har i stor grad ökat kunskapen om olika orsaker till smärta runt höft och ljumske.
5. Artroskopiska ingrepp kan även göras utanför höftleden, exempelvis för trokanterit, iliopsoas-relaterat smärta och senskador kring trokantern.
6. Diagnostik av höft och ljumskbesvär är mycket svår.
7. Statusfynd som tyder på FAI är om stelhet finns vid flexions- och inåtrotationsmanöver samt positivt FABER´s test.
8. Radiologisk utredning är viktig, men måste bedömas med hänsyn till helheten av den kliniska bilden.
9. Extraartikulära besvär runt höftleden såsom överbelastning av senor och symfysit har kopplats till FAI.
10. Artroskopisk höftkirurgi är teknisk svår och har en lång inlärningskurva. Fortsatt forskning och ett vetenskapligt synsätt krävs för att utveckla den artroskopiska höftkirurgin.

7. Broskskador orsakade av impingement. Lokalisationen är anteriort i acetabulum.


Bild 9. Mekanismen bakom skadan mot brosk/ labrumkomplexet. Brosket släpper ofta från benet, så kallat wave-fenomen.
Magnetkamera (MRI) kan även visa dessa förändringar, men är däremot allra bäst på att värdera skador och sjukdomar på mjukdelar. Primärt krävs ingen magnetkamera för att

Bild 10. Så kallat ”wave-fenomen”. Brosket har släppt från benet och bucklas vid tryck från sidan.
ställa diagnosen FAI, men den kan med fördel användas för att utesluta annan sjuklighet inuti leden, speciellt i oklara fall. Datortomografi med 3D rekonstruktion är också väl användbar för fördjupad diagnos.
Andra orsaker till smärta - artros
Vid artros förekommer en tilltagande stelhet i leden som kan likna den vid FAI. Det har diskuterats att FAI kan vara en underliggande orsak till artros i vissa fall, speciellt i relativt låg ålder[18]. Med viss sannolikhet finns det ett samband, även om orsakssambandet än så länge inte är känt. Det kan därför finnas svårdefinierade och svårdiagnosticerade blandtillstånd. Dessutom kan det vid artros
A

förekomma påbyggnader (osteofyter) som kan inskränka rörligheten betydligt, precis på samma sätt som vid en CAM-skada.
Senan till Iliopsoas-muskeln - en höftböjare - ligger på höftledens framsida. Vid så kallad ”intern snapping hip” kan senan vid rotation alternativt flexions-extensionsrörelse av höften avge en ljudlig och ibland smärtsam knäpp. Smärta från iliopsoassenan kan även föreligga utan knäppningar i samband med slemsäcksinflammation eller skada/degeneration av senan (tendinos). Smärta som är relaterad till iliopsoassenan kan utlösas genom provokation med aktiv höftflexion mot motstånd vid antingen 10 eller 90 graders höftflexion. Patienten beskriver ofta smärta vid gång, framförallt i backar eller trappor. Ojämnheter på den främre kanten av acetabulum eller lårbenshu-
A. vanlig frontal projektion.
B. vanlig sidoprojektion.
c. Specialprojektion visar cAM-förändringen.

band med reumatiska tillstånd, till exempel Bechterew´s sjukdom. Vid kompression av bäckenet framifrån eller genom att isolerat belasta ena bäckenhalvan utanför kanten på bordet kan smärta framkallas baktill i bäckenet vid sjukdom i SI-lederna.
- Symfysit
Smärta från främre bäckenfogen kan ha flera orsaker och är vanligt. Symfysit kan förekomma i samband med FAI och kollisionskraften i höften kan bidra till en överbelastning av symfysen[19].
- Adduktorsmärta
vudet kan dessutom ge upphov till smärta relaterad till iliopsoassenan.
- Labrum
Vanligaste orsaken till skada på labrum är sannolikt sekundärt till FAI. Labrums huvudsakliga funktion består i att ta emot och fördela krafter i samband med belastning och den skadas därför relativt sällan allvarligt. Om labrum däremot lossnar från kanten kan den ge upphov till mekaniska symtom, framför allt knäppningar alternativt låsningar. Labrum kan även skadas utan FAI i samband med trauma, med eller utan degeneration som bidragande faktor. (Se bild 12)
- Sacroiliacaleden
Det kan finnas många orsaker till smärta i SI-lederna. Smärttillstånd är vanligt i sam-
Kronisk smärta i adduktormuskulaturens och rectus abdominis senfästen är vanligt hos idrottare. I första hand rekommenderas rehabilitering. Operation behövs sällan. Dessa besvär kan vara kopplade till symfysit och FAI.
- Sportsman´s hernia
Ljumskbråck kan ge ljumsksmärta. Hos idrottare kan även försvagning av bråckporten ge liknande symtom. Detta kan vara diskreta och svårdiagnosticerade tillstånd. Kirurgisk behandling kan bli aktuell.
- Ryggsmärta
Diffus ländryggsmärta är ofta ett mycket svårbedömt tillstånd. Avseende höftleden kan sannolikt en obalans i nedre extremitet samt höftled och bäcken ge upphov till ryggsmärta. Höftsmärta och ryggsmärta förekommer ofta tillsammans.
Smärtorsaken kan finnas i ryggen men ändå upplevas som renodlad höftsmärta. Fortledd


The maneuverability of the power tools is key in orthopaedic surgery. Zimmer power systems are easy to handle, reliable and versatile, enabling clean and accurate cuts. Zimmer places an increased focus on the battery technology, offering long lasting LiFePO4 technology as a cost efficient solution in today’s transitions from pneumatic to battery operated power tools.
smärta från ryggraden till ljumskregionen är vanligast i samband med en diskskada på L2L3, samt från facettlederna i nedre ländregionen.
- Nervsmärta
Nerverna iliohypogastricus, ilioinguinalis samt genitofemoralis passerar genom nedre bukväggens muskelfascia lateralt om rectus abdominis muskelbuk. Här kan dessa nerver bli inklämda och orsaka smärta. Diagnosen är svår och kan åtgärdas med nervfriläggning (neurolys eller neurotomi).
- Trokanterit
Smärta runt trokanter major kan bero på flera orsaker. Refererad smärta, trokanterbursit och/ eller tendinos i de senor som fäster på trokanter major, är några av anledningarna. Det föreligger en tydlig palpömhet kring trokantern. Behandlingen bör riktas mot orsaken.
- Snapping hip
Vid så kallad extern snapping hip kan tractus iliotibialis knäppa när den glider över trokanter major vid flexion-extension. Detta syns relativit enkelt och kan med lätthet palperas. Andra orsaker till snapping hip kan vara fri kropp inuti leden eller instabilitet i höften. Det sistnämnda är dock mycket svårt att diagnostisera med säkerhet.
- Chondromatos
Synovial chondromatos är ett tillstånd där ledhinnan i leden bildar fria kroppar, ibland i stora mängder. Tillståndet skapar smärta och låsningar och i slutändan ofta tilltagande artros.
Höftdysplasi, det vill säga en grund ledhåla skapar en felaktig biomekanik i höftleden. Detta kan ge upphov till labrumskada, men behandlingen bör riktas mot grundorsaken, det vill säga dysplasin. Bäckenosteotomi, en stor och komplicerad operation, kan vara indicerad vid dysplasi.
Behandling - icke operativ behandling
Justering av aktivitet är ett alternativ och vanlig spontan åtgärd hos patienter. Många patienter är symtomfria när de inte idrottar.
• Injektioner av lokalanestetika och kortison
kan ha en tillfällig smärtlindrande effekt. Vanligast ges injektion mot trokanterit, men kan även användas i höftleden, och mot smärtor i symfysen, iliopsoas och adduktorsenorna. Kortison kan ha en viss vävnadsnedbrytande effekt och bör användas med försiktighet.
• Olika rehabiliteringsprotokoll kan användas för att stärka bäckenmuskulatur, kontroll och bålstabilitet. Detta är ofta ett första steg i behandlingen.
Eftersom stretching innebär att placera höften i ytterlägen kan det ibland ge upphov till impingment och därför vara skadligt. Att sluta stretcha i ytterlägen kan därför lindra symtomen.
Operativ behandling
Vid operation av FAI görs en resektion av de förändringar som orsakar impingment. Målet är att uppnå ett sfäriskt caput, samt en lårbenshals som tillåter rörlighet och en jämn acetabularkant. Det är en svår och ofta subjektiv bedömning, som sker under operationen. Röntgengenomlysning används som hjälp, speciellt i början av ingreppet för säker lokalisering (Se bild 14). Ingreppet anses som svårt och inlärningskurvan är lång[20]. Om pålagringarna missas eller endast tas bort delvis, uppnås ingen eller endast marginell effekt. Vid korrekt utförd operation förekommer däremot tydlig ökning av patientens rörelseomfång direkt postoperativt (Se Bild 15). Det kliniska resultatet efter en ”CAM-operation” är oftast mycket tillfredsställande[8-10, 21-23]
Vid labrumskada kan den skadade delen tas bort eller så kan labrum återfästas.
Vid ”intern snapping hip” kan iliopsoassenan delas med hjälp av artroskopet[24]. Åtkomsten är mycket god via en minimal öppning i främre kapseln. Det har rapporterats goda resultat i små serier, men det föreligger risk för eventuellt resttillstånd. Svaghet i flexion förekommer ofta, men rapporterats förbättras med tiden. Vi förordar operation endast som sista åtgärd, inte minst eftersom sjukgymnastik samt kortisoninjektioner i senskidan kan ge effekt. Detta gäller sannolikt i än större grad hos patienter med iliopsoas tendinos.
Fria kroppar extraheras med fördel med artroskopisk teknik.
Vid ”extern snapping hip” på grund av stramhet i tractus ileotibialis, kan fascian delas artroskopiskt alternativt öppet. Artroskopisk teknik ger mindre kirurgisk morbiditet och förordas därför.
Trokanterit behandlas i första hand konser-

Bild 13. Upplägget vid artroskopisk höftledskirurgi. Notera speciellt sträcket.


14. Resultat efter artroskopisk resektion av så kallad pistol-grip deformitet(bild A ovan) samt en stor cAM förändring(bild B). vänster bild före operation, höger efter.


vativt. I kroniska fall kan bursektomi göras öppet eller artroskopiskt.
Vid djupa broskskador kan så kallad mikrofrakturering användas. Detta är en väletablerad teknik för broskläkning som används flitigt i andra leder.
Tekniken vid höftartroskopi är svår och inlärningskurvan flack, även för erfarna artroskopister[20]. Än så länge kan tekniken betraktas som experimentell kirurgi som bör centraliseras. Vid bristande effekt av kirurgi mot FAI måste diagnosen samt det uppnådda resultatet av åtgärden värderas. Inkomplett resektion leder till fortsatta och oförändrade symtom hos patienten.
Senaste åren har det publicerats ett antal studier som utvärderar resultatet av artroskopisk behandling av FAI. Underlaget består framför allt av prospektiva kohortstudier och visar förbättring av funktion och smärta i 6896% av fallen[4].
Sammanfattningsvis finns det tillräckligt med bevis för att stödja god effekt av kirurgisk behandling av FAI på kort och medellång sikt

Ny svensk forskning
Med stöd från tio landsting har Institutionen för byggvetenskap, installationsteknik på KTH, under tio års tid mätt och studerat renheten i olika operationsrum i Sverige. Forskningen har fokuserat på sambandet mellan luftröring och föroreningsspridning i operationsrum.
För att erhålla en hög mikrobiell luftrenhet i operationsrum behöver man kombinera tekniska lösningar, som t ex rätt mängd luftflöden, rätt klädsystem, rätt luftföring mellan operationsrum och angränsande lokaler med rätt verksamhets- och driftsrutiner.
Forskningen visar att laminära luftflöden inte är den optimala lösningen för att uppnå rena operationsrum. Skälet är bland annat att utrustning och människors rörelser stör de luftströmmar som denna typ av ventilation teoretiskt bygger på. Så kallat LAF-tak fungerar utmärkt i t ex läkemedelsproduktion där individerna som arbetar är isolerade från själva produktionen. Inom sjukvården är arbetssituationen betydligt mer komplex och svår att kontrollera, vilket ställer stora krav på den som ska leverera bästa tänkbara förutsättningar för verksamheten. Enligt den nya forskningen når man högre renhet i operationsrummet ifall man tillämpar utspädningsprincipen. Man utgår då från att en människa ger ifrån sig ett antal partiklar beroende på klädval och vid högre luftomsättningar spär luften ut mängden partiklar. Således finns ingen koppling till
rummets storlek, förutom att det ger ramen för hur många partikelspridare (människor) rummet innehåller. Följande formel används:
C = cfu/m3, N = antal personer i rummet, Q = luftflödet (m3/s), K = klädfaktorn (cfu/s). C (eller cfu/m3) är det tal som i Locums standard för operationsrum angivits till 10 cfu/m3, men 5 cfu/m3 är det som frekvent börjar anges. Klädfaktorn eller källstyrkan varierar mellan 1,5 cfu/s till 5 cfu/s beroende på vilken typ av kläder som används. För att definiera klädfaktorn testas kläderna i en testkammare på ett av Sveriges ledande universitet. Utöver dessa faktorer måste man beakta flöden av patienter, personal och material samt renheten i angränsande ytor, typ av operationer som ska utföras samt arbetsrutiner.
När vi konstruerar våra operationsmiljöer tar vi hänsyn till alla faktorer ovan och kombinerar detta med 25 års erfarenhet av att uppfylla de hårda kraven som läkemedelsindustrin ställer på ultrarena rum. Vi tar ansvar för allt från konstruktion, byggmetod, materialval, transport till färdigställande på plats. Det är kombinationen av alla dessa faktorer som gör att vi känner oss trygga i att påstå att vi kan erbjuda säkrare operationsmiljöer.

DeN Nya
geNeRatioNeNs
Fördelar i korthet:
• Klarar morgondagens krav på renhet
• Full spårbarhet
• I drift inom 4-6 månader
• Går att flytta
• Sänkta energikostnader

tillfälligt eller permanent behov
Våra enheter håller permanent standard, men den modulära byggtekniken gör dem utmärkta att använda för kortare behov – t ex vid ombyggnation, kapacitetsbrist eller katastrofinsatser.
Hyr eller köp på valfri plats Våra enheter går att hyra eller köpa. Via samarbete med ett antal fastighetsbolag kan vi snabbt ställa upp våra operationsmiljöer i områden där det finns enskilda läkare eller vårdföretag som vill bedriva verksamhet. omgående behov i Halland En exklusiv hotellanläggning i Halland söker vårdföretag eller enskilda läkare som är intresserade av att bedriva verksamhet (primärt plastikkirurgi). Vår operationsenhet placeras direkt i anslutning till hotellet som anpassas för patienternas rekreation efter utförda ingrepp.
Kontakta oss för mer information
Ingemar Fredriksson, VD 0708-46 33 75 ingemar.fredriksson@operatingtheatres.se



(2-5,2 år), långtidsresultat saknas däremot[4].
Komplikationsfrekvensen till höftartroskopi är relativt låg. Den vanligaste är tillfällig nervpåverkan (n. cutaneous femoris lateralis). Den totala komplikationsrisken har angetts till cirka 1,5%[25]. Till allvarliga komplikationer hör luxation och cervikal höftfraktur. Det finns dock endast enstaka fall av dessa rapporterade i litteraturen.
Vid artros är den klassiska behandlingen antingen symtomatisk eller ersättning av höftleden med artroplastik.
15. Resektion av PiNcER deformitet. Acetabularkanten nedtagen. Detta kräver försiktig hantering av labrum acetabuli. A, (vänster) preoperativt ses en inbuktning i lårbenshalsen som följd av PiNcER-impingment. B) Postoperativt resultat. Vad tycker du?
FAI kan med stor sannolikhet orsaka (eller bidra till) åtminstone lokal anterolateral artros. Detta syns (t ex på röntgen-bilder) som en lokaliserad sänkning av ledspringan framtill i leden på belastade bilder och/eller lateralt på frontalbilder. I tidiga stadier syns artros ofta inte alls på röntgenbilder.
En lokaliserad artros kan med tiden öka och utvecklas till en mer generaliserad artros. Det är inte undersökt huruvida borttagning av en CAM-deformitet och påbyggnader på lårbenshalsen kan
förebygga artros vid FAI. Dock förekommer ofta en klart förbättrad rörlighet efter detta ingrepp och stelhet preoperativt kan vara det mest framträdande symtomet hos patienten.
Studier har visat smärtlindring av CAM-resektion om ledspringan är över 2 mm[26]. Dock vet idag ingen vid vilken artrosgrad kirurgisk åtgärd av FAI saknar eller har värde.
Efter operation
• Rehabilitering efter artroskopi av höftleden varierar beroende på skadans art och den operation som har gjorts.
• Vid behandling av CAM och/ eller PINCER-förändringar är rehabiliteringstiden cirka 3 månader, och vid ledyteskador som måste mikrofraktureras upp emot 6 månader.
• Initialt efter operationen inriktas rehabiliteringen mot cirkulations- och rörlighetsträning. Viktigt är dock att undvika passiv töjning i ytterlägen som kan skapa en kollision i leden till exempel vid inåtrotation och adduktion. Efter hand ökar sedan belastningsgraden och mycket fokus ligger på att stärka abduktorer, extensorer och utåtrotatorer för att normalisera
rörelsemönstret igen. Höftartroskopi är fortfarande en relativt ny vetenskap. Med ytterligare standardisering, fortsatt utveckling av operationsteknik och ett vetenskapligt synsätt kan vi förhoppningsvis behandla patienter med höftsmärta på ett enkelt och effektivt sätt samt eventuellt minska antalet patienter som tvingas till höftledsbyte i unga år. Ett register för höftartroskopi startades i Göteborg under hösten 2011 för att löpande utvärdera effekt och resultat av dessa patienter. Vi planerar flera prospektiva studier inom detta område. Vi vill betona att höftartroskopi är en svår operation, inlärningskurvan är lång och den tekniska kunska-
pen måste inhämtas under kontinuerlig handledning.
MiKAEL SANSONE leg läk
MATTiAS AHLDéN leg läk
PáLL JóNASSON leg läk
JON KARLSSON professor samtliga vid ortopedkliniken, Sahlgrenska Universitetssjukhuset, Göteborg
JOHAN SANDBERG leg sjukgymnast, Ullevi Rehab, Göteborg LEiF SWäRD docent, OrthoCenter, Göteborg
Referenser på begäran.
Vi tar gärna emot dina synpunkter på höftproblematiken till nästa nummer. Skicka ditt inlägg till Ortopediskt Magasin. Adressen hittar du på sid. 3!
I slutet av mars samlades ett
trettiotal fotintresserade sjukgymnaster, ortopedingenjörer och ortopedskomakare under kursledning av ortopedkirurger och en sjukgymnast med specialistområde fot.
Av Hanna McShane
Foten är ett av rörelseorganets mest komplexa konstruktioner, som efter ingrepp kräver omfattande och specifik rehabilitering. Bra samarbete mellan yrkesgrupper krävs för att uppnå detta. Syftet med kursen var att höja kunskapen om den patologiska foten, dess kirurgi och rehabilitering, samt att dela erfarenheter mellan de olika professionerna.
Dag ett inleddes med lite uppmjukning i form av repetition av fotens funktionella anatomi, varpå man snabbt övergick till att prata om framfotens problematik. Ingen tå är för liten att uppmärksammas i detta sällskap. Kirurgi och rehabilitering av hallux valgus, hallux rigidus, hammartår och mortons neurom beskrevs. Mycket bra klimat för frågor och diskussioner infann sej tämligen omedelbart.
Efter lunch var det dags att gå in på hälseneproblematik. Begrepp som tendinos och tendinit gicks igenom och vikten av att senan utsätts för belastning under läkningen betonades. Samtidigt måste senan ges tid för återhämtning och belastas i rätt mängd och i rätt tid.
Fakta för och emot operation, respektive konservativ behandling vid ruptur avhandlades därefter. Ett budskap var att tidig mobilisering efter ruptur, inte bara för-

bättrar och förkortar läkningsprocessen, utan också minskar risken för reruptur och förlängning av senan. För att förbättra den tidiga rehabiliteringen krävs både kunskap och förståelse för hur träningen påverkar senan.
Dagen avslutades med ett mycket trevligt besök på den välrenommerade restaurangen PM & Vänner. Fotdiskussionerna fortsatte givetvis högt och lågt.
Dag två ägnades åt diagnoserna pes plano valgus och dess motsats pes cavo varus. Komplicerad kirurgi finns att tillgå för de patienter som är väl motiverade för detta samt den efterföljande rehabiliteringen.
Förmiddagen gav också upphov till flertalet intressanta diskussioner mellan yrkesgrupperna och involverade kirurgi, träning och ortopedteknik, samt hur samarbete kan förbättras för patienternas bästa.
Avslutande del av kursen innebar både ”hands on” övningar där deltagarnas fötter och vader synades i detalj, samt diskussioner runt patientfall.
Sammanfattningsvis kan sägas att det här var en lärorik, rolig och intressant kurs, inte minst med tanke på att man träffade alla de yrkesgrupper som är intresserade av den komplicerade foten.
HANNA McSHANE leg. ortopedingenjör, Malmö
För omkring ett år sedan insjuknade Stefan Sternemar, VD för Aktiv Ortopedteknik AB i Västmanland och kassör i SOIF, i malignt melanom. Sjukdomsförloppet gick snabbt och Stefan lämnade oss tisdagen den 28 augusti 2012. Vi i styrelsen vill säga några ord om vår kollega.
Stefan började sin yrkesbana som ortopedtekniker och vidareutbildade sig sedan till ortopedingenjör. Efter många år i Västra Götalandsregionen kom han 2004 till Västerås där han fem år senare blev VD för Aktiv Ortopedteknik i Västmanland. Under många år var han kassör i SOIF, en uppgift som han skötte med stort engagemang. Stefan hade ett brinnande intresse för föreningen och de frågor som behandlades där.
Under hela sitt liv tyckte han om att röra sig och hålla sig i form. Golf var ett brinnande intresse och Stefan var en av initiativtagarna till SOIF-golfen som under många år arrangerats vid Omberg. Vi som var med vet att Stefan först såg till att alla kom igång innan han själv började spela.
Sommarstugan i Bohus-Malmön, båtliv och västkusten var ett viktigt tema i Stefans liv. I Bohusläns saltstänkta vågor hämtade han kraft. Han köpte en styrpulpetare som han inte hann glädja sig åt tillräckligt. Inte en liten fjant, utan en riktig båt.
Vi kände Stefan som en finsmakare, både när det gällde mat och dryck. Skaldjur av alla dess slag var en stor favorit. På middagar med vänner och kollegor var det självklart att be Stefan beställa in ett gott vin.
Stefan visste att bevara en hemlighet. Den som berättade något för honom visste att det stannade där. Han var ganska hemlig även med sig själv, men genom sina handlingar visade han kanske mer än vi förstod.
Stefan klarade sig själv. Frågan är hur vi klarar oss utan honom.
STyRELSEN GENOM PER KäLLvANT
Höftfysiolys drabbbar oftast tonåringar i början av den pubertala tillväxtspurten, dvs. vid 10-12 års åldern för flickor och 11-13 års åldern för pojkar (1). Då tillväxthastigheten är som störst är fysen som svagast.
Höftfysiolys innebär att metafysen förskjuts anterolateralt i förhållande till epifysen, och ger upphov till hälta med utåtrotation av benet. Förskjutningen medför ett hinder att inåtrotera benet, vilket motsvarar benämningen femuroacetabular impignement - FAI (Figur 1).
P.g.a. kollisionsfenomenet väljer barnet att gå med benet utåtroterat tills remodellering och tillväxt (se nedan) korrigerat problemet.
Fram till för några år sedan fanns en enad uppfattning bland barnortopeder att åtminstone lätta glidningar bäst behandlas med fixation in situ (2,3). I Sverige används på de flesta kliniker LIH-spiken eller Olmedskruven som båda tillåter fortsatt tillväxt av collum. Flera långtidsstudier, bland annat från Lund (1) och Göteborg (4), visade att reposition och korrigerande osteotomi gav sämre resultat även vid uttalade glidningar. Orsaken till det var att operationen medförde en hög risk för kondrolys och avaskulär nekros med tidig artros som
Figur 2. a. Andelen barn med broskskador (rött) respektive labrumskador (lila) i samband med fysiolys i fyra studier (referens 5-8). Antal patienter i respektive studie angivna.
b.Andelen barn med lätt/måttlig (gul) respektive uttalad (röd) artros 30 år efter behand-ling med spikning utan reposition i tre studier (referens 1,2,12). Antal patienter i respektive studie angivna.

öppet luxerat, reponerat, fusionerat och fixerat även lätta glidningar har visat tecken på labrumskador och/eller broskskador i upp till 97% av alla höfter med fysiolys (5-8) (Figur 2a). I dessa rapporter är sammanlagt 125 pa-

Samtliga författare anser att de funna broskskadorna är ett förstadium till artros och att FAI därför skall behandlas. Man rekommenderar att anatomin operativt återställs så noga som möjligt. Detta innebär att alla glidningar reponeras slutet eller öppet. Om man inte kan återställa anatomin genom reposition så receseras den metafysära klacken. Vid mindre glidningar rekommenderas detta ske artroskopiskt, vid större glidningar genom s.k. safe
Remodelleringen efter höftfysiolys sker genom att den metafysära klacken anterolateralt re-sorberas, genom benpålagring posteromedialt och genom att collum tillväxer på ett asymmetriskt sätt (10) (Figur 3). Med RSAteknik såg vi att den normala kvarvarande
(9). Detta ses också genom att spiken dras in under åren efter glidning (Figur 4). Lars Billing och Erik Severin i Göteborg visade genom täta noggranna röntgenundersökningar att resorptionen av den metafysära klacken sker mycket snabbt, vid små glidningar inom ett par månader (11). Längdtillväxten medför också att området växer bort från acetabularkanten. Om man inte har artros har man inte heller problem med inskränkt rörlighet i höften i vuxen ålder (3).
Samband eller inte?
Att FAI leder till artros är inte visat i någon studie. Tvärtom har flera långtidsundersökningar, bland annat tre 30-årsuppföljningar omfattande sammanlagt 282 patienter, visat att endast 5-10% av dem som opererats med fixering utan reposition hade uttalad artros efter 30 år (2,3,12) (Figur 2b). I de flesta fall är detta kopplat till tidiga komplikationer som gett avaskulär nekros. Resultaten bygger på


Figur 4. Bilateral lIH-osteosyntes pga fysiolys hos 12-årig pojke. Vid avslutad tillväxt ses spikindragning motsvarande längdtillväxten av collum.
Figur 3. Remodellering efter fysiolys med benresorption anterolateralt, benbildning posteromedialt och asymmetrisk längdtillväxt av fysen.
operationer genomförda för 50 år sedan med den tidens teknik, osteosyntesmaterial, genomlysningskvalitet etc.
I flera länder i Mellan- och Sydeuropa, vid flera centra i USA och i ledare och ”state of the art” artiklar anser man dock redan att sambandet är klart, att FAI-orsakad broskskada vid fysiolys är progressivt och leder till tidig artros. I en översiktsartikel i JBJS 2011 skrevs att ”In situ-fixation rarely relieves FAI” samt att ”once symptoms occur they tend to be progressive” (12). Det skrevs utan hänvisning till några referenser.
Varför har behandling av FAI vid höftfysiolys så snabbt blivit så spritt trots avsaknaden av vetenskapligt stöd? I många länder behandlar man fysiolys med skruvfixation som hämmar längdtillväxt och försvårar remodellering av collum. Man ser kanske en form av iatrogen FAI som inte självläker och som vi inte ser i Sverige? Man har kanske inte reflekterat över långtidsresultaten efter spikning in situ? Jag tror också att man på många ställen mer okritiskt accepterar vad kända ortopeder anser, med andra ord är vårdprogram mer ”eminence based” än ”evidence-based”.
Stora förändringar kräver studier
Vi gör ständigt mindre modifieringar av våra vårdprogram och av våra operationstekniker. Det är inte rimligt att små förändringar skall
föregås av vetenskapliga studier. Det skulle lägga en filt över all utveckling. Någonstans går dock en gräns. Om vi gör en större förändring av vårdprogram, om vi inför en ny operationsmetod eller om vi använder en vedertagen operationsmetod på en ny indikation måste vi kunna stödja detta på vetenskapliga studier. Om vi inte kan det är enda acceptabla sättet att genomföra förändringen att göra det som en ny vetenskaplig studie. Det innebär godkännande av etikprövningsnämnd, vi skall informera patienten att det är en ny metod som prövas och patienten skall ha rätt att avstå. Helsingforsdeklarationen gör ingen skillnad på om man inför/testar ett nytt läkemedel, en ny operationsmetod eller ett nytt vårdprogram.
Under årets Ortopedivecka hette en programpunkt
”När får en ortoped Nobelpriset?
Den 8 oktober tillkännagavs att årets nobelpris i medicin och fysiologi delas av Shinya Yamanaka och John Gurdon för upptäckten att mogna celler kan omprogrammeras till pluripotens.

Yamanaka, född 1962 i Osaka, är japansk läkare och forskare med stamceller som specialitet. Han avlade läkarexamen 1987 vid universitetet i Kobe och började 1987 som resident i ortopedi, innan han 1989
Yamanaka doktorerade 1993 i Osaka och var därefter verksam vid Gladstone Institute i San Francisco i USA och Nara Institute of Science and Technology i Nara i Japan. Yamanaka arbetar idag vid Kyoto universitet och vid University of California i San En längre artikel om Yamanaka kommer
Förslag avseende proximal humerusfraktur, klavikelfraktur och ACluxation.
Socialstyrelsens (SoS) initiativ kring nationella riktlinjer involverade oss under 2007. Som chef för traumagruppen agerade Karl-Göran Thorngren. KG diskuterade med Rolf Norlin som i sin tur bad Anders Ekelund och Jan Nowak att delta. Joanna Kvist deltog som sjukgymnast. Vi fick information kring hur arbetet skulle bedrivas och stor tyngd lades vid att alla bedömningar skulle vara evidensbaserade.
Således skulle vi nästan uteslutande grunda våra slutsatser och behandlingsriktlinjer på systematiska översikter och alla de randomiserade studier som var publicerade. Vi påpekade tidigt att mängden sådan litteratur var liten inom ortopedin men beskedet var att arbetssättet ändå skulle följas. Se t.ex. BMJ 2004;328;1490.
2008-2009 arbetade vi tillsammans med bl.a. bibliotekarier inom SoS och genomförde två heltäckande litteratursökningar inom flera databaser såsom National Center for Biotechnology Information (NCBI), National Library of Medicine (NLM) och Cochrane. Antalet systematiska översikter och RCT:er räknades i stort sätt på ena handens fingrar.
Alla insåg att detta arbetssätt inte skulle leda till evidensbaserade riktlinjer som i sin tur kunde ligga till grund för adekvat prioritering nationellt.
Positiv respons från SSAS
Vi i gruppen kring axeltrauma bytte arbetssätt. Vi sammanställde det material som ändå fanns och parade detta med vår egen erfarenhet. Slutresultatet redovisade vi på Svenska Skulder- och Armbågssektionens (SSAS) årsmöte 2010. Efter detta möte fick vi positiv respons.
De nedan redovisade förslagen följer i stort det vi tidigare redovisat inom SSAS. Således

Proximal humerusfraktur.
baseras dessa förslag på en blandning av vetenskaplig grund och praktisk erfarenhet.
Proximal humerusfraktur
Tabellen redovisar förslag på indikationer för att behandla en proximal humerusfraktur kirurgiskt.
Den omvända axelprotesen har börjat användas på mycket komminuta frakturer hos de äldre. Protesens plats i terapiarsenalen är ännu ej bestämd. Fortsatta studier och mer erfarenhet krävs.
Flödesschemat (se bild) är alltså förslag på hur man bör tänka och utreda en misstänkt proximal humerusfraktur. Primär slätröntgen ska visa tre mot varandra vinkelräta projektioner: äkta frontal, sida och epålettbild (=subskapulär). Denna bildserie är mycket användbar, i nästan alla sammanhang.
Den postoperativa behandlingen, immobilisering och sjukgymnastisk rehabiliteringsträning, är lika dåligt studerad som den kirurgiska behandlingen. Rimligen kan tidigare rörelseträning startas med icke-operativ strategi som efter stabil osteosyntes. Efter protesoperation bör nog tuberclarnas läge och fastläkning skyddas med cirka sex veckors relativ immobilisering, endast passiv rörlighet och pendling.
Clavikelfraktur
Jan Nowak har påpekat sin erfarenhet av att patienter med generell ledlaxitet har större risk att utveckla läkningsstörning pga bristande proprioception (jämför flerriktad axelinsta-
bilitet). Därför anser han att dessa patienter ska opereras på snarast vidare indikationer än övriga.
Vid icke-operativ behandling finns inga belägg för att 8-bandage ger bättre slutligt frakturläge än behandling med vanlig mitella eller slynga.
Nonunion (icke-läkning) finns i cirka 5% (1-29%) av konservativt behandlade fall och detta är en betydligt högre siffra än i opererade material. En målsättning är att minska denna siffra. Även symtomatisk malunion (felläkning) är betydligt vanligare i konservativt behandlade material (4-36%). En förkortning på 2 cm eller mer tycks ge ökad förekomst av sena axelproblem. Nackdelar med kirurgisk
behandling är förstås högre kostnad, risk för intraoperativa misstag och risk för infektion resp problem från implantatet.
Det finns inga klara riktlinjer för hur eventuell immobilisering och sjukgymnastisk rehabilitering ska se ut efter konservativ eller operativ behandling av clavikelfraktur. Vi vet att clavikeln roterar mer ju mer vi lyfter armen. Rimligen utsätts callus och osteosyntes alltså för skjuvkrafter vilket knappast är positivt. Därför kan det vara rimligt att begränsa aktiv flektion till maximalt 90º de första veckorna.
AC-ledsskador
Att det finns operationsindikation vid kvarstående problem efter AC-lux grad III är välkänt. Klassisk åtgärd är Weaver-Dunns laterala resektion och ligamentrekonstruktion med CA-ligamentet. Fixation av claviceln under läkningstiden kan ske med olika endo-buttonliknande tekniker eller med t.ex. hookplatta vilken dock senare måste tas bort.
Att akut åtgärda skador av grad IV, V och den extremt ovanliga grad VI är lika klart eftersom felställningen är stor och deltopectorala fascian avsliten från claviceln. Dock är tekniken här inte självklar, framför allt inte vad gäller om lateral resektion ska göras eller ej. I litteraturen antyds att senare symtomgivande AC-artros ses om lateral resektion inte görs akut. Uppenbara nackdelar med lateral resektion finns inte beskrivna.
En slutsats av detta är att akut lateral resektion är rimlig i samband med det stabiliserande ingreppet.
Att ha en strikt konservativ behandling vid akuta skada grad I och II är klart. Sen symtomgivande AC-artros ses ibland och kan enkelt behandlas med elektiv lateral resektion.
Omtvistad behandlingsfråga
Omtvistat är idag hur akut grad III-skada ska behandlas. Många tekniker med både s.k. anatomiska och icke-anatomiska ligamentrekonstruktioner finns beskrivna men också enbart reposition och fixation i ursprungsläge utan särskild ligamentrekonstruktion finns beskrivna. Även här gäller diskussionen om huruvida lateral resektion ska göras eller ej.
Å andra sidan finns långvarig erfarenhet av konservativ behandling och detta med fortsatt god axelfunktion också på längre sikt.
Det finns inga klara riktlinjer för hur eventuell sjukgymnastisk rehabilitering ska utformas. Ifall patienten har kvarstående funktions-


Ac-ledskador.
Tabell 2.
nedsättning kan sjukgymnastisk rehabilitering inrikta sig på att återställa funktionen.
rekommenderas med stöd av hög evidens.
Vår avsikt är dels att påvisa det bristande underlaget för våra behandlingar men också, i detta läge med bristande evidensbas, ge ett clavikelfraktur.
3.
förslag hur vi kan utreda och behandla dessa patienter.
Slutligen hoppas vi att detta kan stimulera till nya, prospektiva, randomiserade undersökningar.
ROLF NORLiN professor, Örebro Universitetssjukhus och Örebro Universitet
ANDERS EKELUND docent, överläkare, Capio S:t Görans sjukhus, Stockholm
JAN NOWAK med dr, överläkare, Akademiska Sjukhuset, Uppsala
Ingen av de ovan diskuterade behandlingarna, varken konservativa eller operativa, kan
JOANNA KviST docent, universitetslektor, Linköpings Universitet








ändrats och Spanien har halkat ned till tredje plats efter Sydafrika och Australien. Vi som är i pre-pensionsfas minns kanske Riojans segertåg över Sverige under 1980-talet och den efterföljande kvalitetssvikt som följde. Under 2000-talet har det dock skett en omfattande rehabilitering även i Rioja, som innebar att de till slut dill- och vaniljosande samt ofta lätt oxiderade vinerna nu stramats upp till gamla tiders kraft och till och med utvecklats till frukt- och tanninstinna kraftpaket att vänta på medan de slipas av i källaren.
Bråkig syra
I dagsläget anses kanske Ribera del Duero, Priorat och det reformerade Rioja vara de mest intressanta områdena, även om samtliga områden i regionerna Castilla y León och Katalonien producerar många utmärkta viner. Ett glas av vin från Ribera del Duoro kan vara väl värt att doppa näsan i och kräver ofta en djupare analys. De är nyansrika med inslag av främmande dofter och en pigg syra som under vinets tidiga år kan upplevas som lite bråkig. Efter en tuff vecka på jobbet vaknar man upp ur fredagsmysets dimmor och börjar fundera på vad som hamnat i munnen.
Ribera betyder flodstrand, området ligger runt Duoro-floden som från norra Spanien
och krita, ämnen inte helt obekanta för en or toped. Tempranillo är den vanligaste druvan här liksom på många ställen i Spanien. Regionens paradvin är Vega Secilia som blev känt som Spaniens ”finaste” vin redan under tidigt 1900-tal. Bodegan Vega Sicilia renoverades under 1980-talet av en av Spaniens mest kända oenologiska ekvilibrister Pablo Alvarez, som gör kvalitetsviner över hela Spanien. Vega Sicilia-vinerna görs av tempranillo med inblandning av cabernet sauvignon, merlot och malbec. Druvorna är planterade i olika jordmåner, de skördas för hand och sekventiellt (dvs. man plockar vid 4-6 tillfällen). Vinerna lagras på fat respektive flaska i upp till 4 respektive 3 år. Det gör att vinet blir dyrt (1000-2000/75 cl). Samma firma gör ”budgetvarianterna” Alion (nr 90154) samt Pintia Cosecha (nr 70500, 359:-).
Tilltalande Malleolus
Alternativet från Emilio Moros bodega med namnet Malleolus är betydligt mer tilltalande ur prissynpunkt. Detta vin ger god stimulans långt ovan fotknölarna speciellt efter några lugna år i källaren. Vill man testa den bimal leolära varianten kan man satsa på lyxversio nen med druvor från en speciell odlingsareal (Sanchomartín), lång fatlagring och allt annat som krävs för att skapa ett riktigt kultvin.

Det går dock att få tag på Riberaviner till vettigt pris. El Pedrosal (2389, 87 kr) samt Cruz de Alba crianza (119 kr) är två utmärkta drickfärdiga Riberaviner. Skulle man råka glömma dem i ett mörkt och inte för varmt skåp i något år tar de ingen skada. Systembolaget erbjuder ett femtiotal röda viner från Ribera del Duero men tyvärr finns bara ett fåtal av dem i butik och ofta inte ens det. De kan dock lätt beställas hem via nätet. Är man i akut behov av vin kan man ju lägga in sin beställning och leta efter viner från den förträfflige spanska producenten Torres som gör pålitliga viner i alla prisklasser. Önskar man något med kirurgisk anknytning kan Gran Sangre del Toro (2686, 84:-) kanske vara något till höstgrillningen. Tillhör man de som dricker vitt till skaldjur och har onkolog(ortoped)festen kvar (kräftskivan) så varför inte prova ett vin gjort på den intressanta innedruvan albariño. Orballo (2696, 89:-) finns i de flesta butiker. Nessa (93002, 99:-) är ännu bättre.

JOHAN KäRRHOLM



COPAL® – produktlinjen för revisionsendoprotetik

Lär dig mer om bencement och modern cementerings teknik på vår utbildnings plattform www.heraeus-palacademy.com


Allt från samma ställe: Vare sig det rör sig om revisioner i ett eller två steg, så har COPAL® cement många användningsområden för pålitlig och individuell användning.
COPAL® G+C – dubbelt skydd och säkerhet vid revisioner i ett eller två steg
COPAL® spacem – specialcementen för framställning av temporära platshållare (spacer)


















