Ortopediskt Magasin nr 1 2019

Page 1


nummer1/2019

Kommentar med anledning av ledarartikel i Ortopediskt Magasin nummer 4, 2018

I den ledarartikel som publicerades i Ortopediskt Magasin nummer 4, 2018, refererades till uppgifter rörande den privata enheten Ultragyns verksamhet på Sophiahemmet, som publicerades i Expressen våren 2017.

Jag vill med detta inlägg korrigera felaktigheter i Expressenartikeln. Det har inom Ultragyn aldrig förekommit speciella bonusar till läkarna baserat på operativ volym. Efter att artikeln i Expressen publicerats har det utförts en granskning av Hälsooch sjukvårdsförvaltningen (HSF) i Stockholms läns landsting.

HSF redovisade i denna ett positivt intryck av Ultragyns verksamhet, och konstaterade i sin rapport att Ultragyns verksamhet har korta operationstider och att ingreppen präglas av hög effektivitet med få komplikationer. HSF slog dessutom fast att genomförda ingrepp varit medicinskt motiverade. Som stöd för verksamhetens kvalité kan man i det nationella kvalitetsregistret för gynekologisk kirurgi notera att Ultragyns resultat ligger över riksgenomsnittet.

Ultragyn hade dock för vissa operationer använt felaktiga åtgärdskoder, vilket hade lett till en för hög ersättning. Det var olyckligt men verksamheten löste dessa oklarheter i dialog med HSF under 2017, reglerade ersättningen och stramade upp interna kontrollrutiner. Därtill pågår via Svensk Förening för Obstetrik och Gynekologi (SFOG) ett arbete med att uppdatera och förtydliga åtgärdskoder som Ultragyn och andra vårdgivare inom gynekologi har använt för att undvika risk för framtida felkodningar.

Docent Jan Zetterström

F.d. Verksamhetschef Ultragyn Sophiahemmet

nummer 1/2019 grundad 1979

Medlemstidskrift för Svensk Ortopedisk Förening och Sveriges Ortopedingenjörers Förening.

Ortopediskt Magasin utkommer 4 ggr/år; vecka 12, 24, 41 och 52. Manus till redaktionen senast sex veckor innan respektive utgivningsvecka.

Ansvarig utgivare:

Professor Magnus Karlsson, Ordförande Svensk Ortopedisk Förening

Tuna Industriväg 4, 153 30 Järna, tel. 08-550 390 50, fax 08-550 104 09, e-post: sofkansli@ortopedi.se

Redaktion:

Redaktör: Specialistläkare Erik Lind, e-post: redaktionen@ortopedi.se

Redaktionschef: Linda Linnskog Rudh, 0707-46 70 47, e-post: redaktionen@ortopedi.se

Manuskript skickas till e-postadressen ovan.

Redaktionsadress:

Ortopediskt Magasin, SOF:s kansli, Tuna Industriväg 4, 153 30 Järna, tel. 08-550 390 50, fax 08-550 104 09, e-post: sofkansli@ortopedi.se

Hemsida: www.ortopedisktmagasin.se

Prenumeration:

4 nr 150:- per år för medlemmar. Övriga 250:- per år i Sverige. Övriga länder: 280:- per år.

Prenumeration SOF:s kansli, Tuna Industriväg 4, 153 30 Järna, tel. 08-550 390 50, fax 08-550 104 09, e-post: sofkansli@ortopedi.se

Prenumeration SOIF, e-post: sekreterare@soif.se

Annonser:

För prisuppgifter, övriga uppgifter eller annan information, samt bokning av annonser: Erik Lind, i första hand e-post: annons@ortopedi.se. Telefon: 08-550 390 50 vid brådskande ärenden. Bokning senast fyra veckor innan respektive utgivning. Lämning av annonsmaterial senast tre veckor innan respektive utgivning. Rabatt 10% vid bokning av fyra annonser samtidigt.

Upplaga: 2.000 ex.

Tryck: Billes, Göteborg. Nr 1, 2019. ISSN 0349-733X.

Omslagsbild: Gunnar Flivik. Bilden visar hur en stor del av ena bäckenhalvan hos en patient med kondrosarkom är utbytt mot en 3D-printad skräddarsydd protes.

Ledare

Nytt år med nya uppgifter för styrelsen

Efter vart årsskifte möts styrelser i allmänhet av nya kollegor. Så även Svensk Ortopedisk Förening. Under det gångna året har två trotjänare i SOF, Hans Mallmin och Nader Mafi lämnat styrelsearbetet. Hans har redan en styrelsereträtt i sitt CV. Men när ordinarie utbildningsansvarige Anne Garland, tillsammans med familjen gav sig iväg på ett årslångt äventyr i Nya Zealand, ställde Hans solidariskt upp för att bibehålla kontinuiteten i arbetet med utbildningsfrågor. Hans har därmed under ett antal år, tillsammans med Anne Garland, skött ortopedexamen och färdigställt vår ST-handbok samt på ett nationellt plan via Läkarförbundets fortbildningsnätverk och som värd för Svenskt kirurgiskt råd och på ett internationellt plan via NOF, UEMAS och EBOT, lyft fram SOF:s syn på utbildningsfrågor. Hans kommer nu fortsätta bevaka dessa frågor inom UEMS och EBOT.

Nader Mafi beslutade sig hösten 2019 att avgå från styrelsen i förtid, inte minst beroende på förändrade arbetsuppgifter på hemmaplan. Nader ska nu komplettera sin ortopedutbildning med en företagsläkarutbildning. Under de 4 år Nader har arbetat med SOF har han som specialområde drivit patientsäkerhetsarbetet inom föreningen, samt tagit övergripande ansvar för kvalitetsfrågor. Han har i denna roll bl.a. varit central organisatör av SPUR-inspektioner och även deltagit som SPUR-inspektör på plats, skött kontakten med våra ortopediska register och varit den i styrelsen som skött dialogen med Reumaförbundet rörande deras patientsäkerhetspris. Vi tackar med detta Hans och Nader för deras värdefulla insatser för svensk ortopedi.

Nya styrelsemedlemmar

Som utbildningsansvarig återgår nu Anne Garland på sitt gamla mandat. Anne har under sitt utlandsår hållit tät kontakt med Hans, drivit både planering och genomförandet av ortopedexamen samt hållit sig uppdaterad rörande utbildningsfrågor. Någon inskolningsperiod behövs därför knappast på denna post. Även patientsäkerhetsarbetet kommer fortsätta med full styrka. På denna position kommer Naders arbete att föras vidare av en välkänd SOF-profil. Birgitta Lagerqvist har tidigare verkat som facklig sekreterare i föreningen och som före detta ”general” för ortopediveckan har hon

god insyn i hur ett sådant arrangemang organiseras. För övrigt har Birgitta arbetat både som chefsläkare och verksamhetschef, något som gör henne ytterst lämpad för att ta ansvar för kvalitetsarbetet inom föreningen. Birgitta har åtagit sig att fram till ordinarie val på årsmötet i Norrköping fungera som tillförordnad styrelsemedlem med ansvar för patientsäkerhetsfrågor.

Framtida chefer

Styrelsen kommer nu bl.a. fokusera arbetet mot en av sjukvårdens viktigare framtidsfrågor. Att utbilda bra och fungerande chefer är nödvändigt för en framtida välfungerande sjukvård. Här har SOF möjligheter att influera hur vi fångar upp framtida ledare. Vid rekrytering av chefer inom vården underskattas inte sällan kunskap om själva kärnverksamheten. I stället riktas ofta annonser mot någon som kan leda alla typer av verksamheter. Med chefskapet frikopplat från den professionella kunskapen riskeras dock att beslut ta på fel grunder. Den förändrade inställningen, att andra yrkesgrupper än läkare åtar sig chefsjobb, ses av många som positivt. Med detta breddas urvalet för att få fram intresserade och lämpliga ledare. Konkurrens är också bra. Att antalet chefer som är läkare minskar är däremot inte positivt.

Läkare som ledare I grunden har alla läkare någon form av ledarposition. I vår yrkesposition delas de beslut som behandlande läkare tar av patienter och anhöriga. Läkarrollen berör all personal på arbetsplatsen och påverkar ekonomin. Med fler och allt dyrare behandlings- och utredningsalternativ måste vi prioritera. Alla vårdlagets medarbetare ska utvecklas och stöttas. Men resurserna är begränsade. Dessutom ska ekonomiekvationen inte bara gå ihop i nuet. En chef måste även planera för den framtida verksamhetens innehåll och utveckling. Samtliga dessa val är svåra att göra om den professionella kunskapen saknas.

Att läkare är en lämplig yrkesgrupp för chefskap inom vården stödjs av forskning. Medical Management Center vid Karolinska institutet delgav oss i rapporten, ”Physicians’ role in the management and leadership of health care”, att medicinsk kompetens hos chefer inom sjukvården bidrar

Anne Garland
Birgitta Lagerqvist
Hans Mallmin Nader Mafi

positivt när det gäller såväl vårdkvalitet och resursanvändning, som personaltillfredställelse och samhällsansvar. Vad som driver dessa samband oklart, men rapportens författare spekulerar i att läkares medicinska bakgrund ger dem högre trovärdighet bland personalen jämfört med andra ledare, samt att den kliniska kompetensen gör att de fattar bra beslut.

Föreningens arbete

SOF:s styrelse arbetar därför för att läkare inte ska väljas bort vid tillsättning av chefstjänster. Vi anser att god kännedom om kärnverksamheten och erfarenhet av att leda projekt och team, bör väga lika tungt som en kortare chefserfarenhet inom ett annat område. Vi måste även aktivt få professionen att prioritera ledarskapsfrågan. I dag finns många chefstjänster som inte har en enda läkare som sökande. Att tillåtas ha kvar en del klinisk tjänst i utbyte mot ordentligt administrativt stöd kan underlätta att ta på sig en chefsroll. Vi måste även tillåta befogenheter för att kunna vara kreativ i sitt sätt att leda, i kraft av att man känner verksamheten. Ingång i chefskap kan göras i små steg, genom att ta ansvar för ett begränsat område. Det ska även finnas möjlighet till ledarskapsutbildning. Detta är något som SOF:s styrelse tagit fasta på när vi senaste året, tillsammans med Handelshögskolan, har drivit en ledarksskapskurs för nyligen färdiga ortopedspecialister, med intresse för men ännu utan chefsuppdrag. Målsättningen är att bredda basen till framtida chefstjänster. Med det positiva gensvar som kursen väckt, arbetar styrelsen nu för att starta en ny kursomgång hösten 2019. Intresserade yngre kollegor och verksamhetschefer med kollegor med ledarskapsegenskaper i sin organisation, uppmanas därför lämna intresseanmälan till Lena Göthe på SOF:s kansli (sofkansli@ortopedi.se). Med detta hoppas vi att kunna bidra till att skapa en väl fungerande framtida ortopedisk sjukvård.

Innehåll nr.1

4 Ledare

6 Tema: Implantat

• Lagen om offentlig upphandling

• Offentlig upphandling av höft- och knäprotesimplantat

• Bästa möjliga upphandling

• Stepwise introduction

• Spårbarhet av implantat

• Metoder vi lämnat bakom oss

• Skräddarsydda 3D-printade implantat

• SOIF: Osseointegration

28 SOIF-nytt: Ortopedingenjörsprogrammet

29 SOF-Nytt

30 Ortopediveckan i Norrköping

36 Epiphysen: ST inom försvarsmakten

38 Blodsmittemärkning

40 Vem ska operera oss?

42 Nya definitioner av protesinfektion

45 Frågorna i Ortopedexamen

50 Pelles säkerhetshörna

51 Bidrag till Årets avhandling

54 Ur Acta Orthopaedica

56 Pompe

58 Vinspalten

Tema Implantat

Som ST-läkare frågade jag oroligt mina överläkare vad som skulle hända om man hittade en medicinsk intervention mot artros. Jag insåg att min karriär som ortoped då skulle gå i stå och att flera år med a-kassa väntade mig innan jag hunnit skola om mig till geriatriker. De kloka äldre kollegerna lugnade mig. ”Vi har satt in så mycket skrot i folk som du kommer att behöva byta ut, så du lär ha att göra fram till pension.”

Jag var lugnad och min yrkesverksamma framtid säkrad. De hade nog rätt. Vi jobbar med implantat dagligen och gör mänskligheten mycket gott med dem, men vi vet att de har sina begränsningar. Implantat betyder ”material som planterats in i kroppen”, i syfte att ersätta något som inte längre fungerar. De förs-

ta försöken med implantat gjordes för mycket länge sedan. Vid utgrävningar vid Varnhems kloster 1928 hittade man en kopparplåt som lindats runt en överarmsfraktur troligen någon gång mellan 1260 och 1527. Operationen var framgångsrik, mannen överlevde och frakturen läkte. Ren koppar har en antibakteriell effekt och är dessutom formbart och måste ha lämpat sig väl för intern fixation utan sterila betingelser. Visste man detta? Var metoden känd? Vem utförde den?

Kopparplattan i Varnhem var varken CE-märkt, upphandlad eller streckkodsförsedd. Den infördes heller inte med organiserat införande eller följes upp via ett register. Den verkar ha funkat ändå, åtminstone just på den individen. Den blev dock ingen storsäljare på medeltiden, då skulle man ha hittat fler skelett med kopparplattor.

Den riktiga implantatanvändningen kom igång först under 1900-talet och

för den krävdes en väldigt god aseptik, narkos och antibiotika. Utan dessa förutsättningar hade nog implantaten inte haft en chans. Lustigt nog är det samma problem vi brottas med idag och infekterade implantat utgör en olustig baksida av en i övrigt fantastisk framgångssaga.

Implantat är dyra och varje sjukhusekonom vrider sig i vånda över kostnaderna. Ingen sjukhusdirektör ser vinsterna av implantaten eftersom vinsten ses i livskvalitet, ökad funktionsnivå och minskade behov av assistans. Dessa vinster görs ekonomiskt på samhällsnivå och räknas hem i antal arbetsföra år, minskad hemtjänst och konsumtion i form av fortsatt golfspelande.

Kan man köpa slangklämmor på Clas Ohlson och köra genom sterilen om cerklagen är slut? Det är betydligt billigare och metallen är den samma. Spontant svarar vi nog nej på den frågan, men är det verkligen så? Kraven och kontrollen

på våra implantat är lågt satta jämfört med exempelvis läkemedel i Sverige, där varje preparat går igenom en rigorös testning innan det släpps till försäljning. Biverkningar rapporteras ofta och alla behandlare vet att man ska anmäla biverkningar. Implantat är knepigare. Hur ska man kunna veta att det inte var ett handhavande av produkten som gjorde att den felade? Dessutom sker ofta en produktutveckling parallellt med användandet vilket gör att det man tyckte inte fungerade kanske inte längre finns på marknaden. Problemen med implantat upptäcks också ofta väldigt sent, kanske flera år efter insättandet.

Skandaler med läckande bröstimplantat, bråcknät som krånglar, proteser som lossnar och släpper ifrån sig metalljoner. ”It goes all right until it goes all wrong” är en bra devis vid införande av nya implantat och metoder. Vad händer med implantatet över tid och kan det ersättas när det tjänat ut? Det är en fråga som jag tror vi alla ska ställa oss som sätter in främmande

Historiska museet skriver följande om fyndet: Vid utgrävningar av Varnhems kloster i Västergötland hittades det här benet 1928. Det är ett unikt fynd för Sverige. Hur gammalt det är vet vi inte, men eftersom klostret var i bruk från 1100-talet till 1500-talet bör personen fått sin skada under den perioden. Det är ett vänster överarmsben från en man. Kopparplåten är ditsatt för att stödja en fraktur, kanske ett svärds- eller yxhugg. Benutväxterna runt plåten tyder på att skadan har läkt ganska bra. Ingreppet är komplicerat och skulle vara svårt även för vår tids experter. Foto: Pelle Bergström

material i folk. Ett implantat kan te sig som en toppenbehandling för en 25-åring med smärta, men vad gör vi med den individen tjugo år senare? Kan man avlägsna/byta ut reservdelen? Den nu 45-åriga individen ska troligen leva i 45 år till.

I detta nummer belyser vi implantat ur olika infallsvinklar: Olle Nilsson ger oss en liten resa genom ortopedins skräckkabinett, Åsa Berggren från Varuförsörjningen från Örebro/Uppsala-regionen berättar om hur en upphandling av implantat kan gå till. Maziar Mohaddes, Sahlgrenska kåserar kring om denna upphandlingsprocess kanske kan göras nationellt, Olle Svensson i Umeå följer och ifrågasätter vår logistik i handhavandet av produkter och spårbarhet. Petrus Laestadius från Swedish Medtech beskriver implantat–delen från tillverkarnas sida. Nils Hailer och Henrik Malchau har några bra tips på hur man kan införa nya grejer utan att ta för stora risker. Ingen vill ju hamna i Olle Nilssons skräckkabinett… varken klinkern eller industrin.

Karin Bernhoff Huvudredaktör för temat om implantat

Som ortoped kommer du finnas nära våra soldater eller vara en viktig del i ett operationslag på en camp.

Foto: Bezav Mahmod/Försvarsmakten.

VÅRA SOLDATER OCH SJÖMÄN HAR RÄTT TILL KVALIFICERAD SJUKVÅRD. OAVSETT VAR DE BEFINNER SIG.

NU SÖKER VI BLAND ANNAT KIRURGER

Varje soldat och sjöman är beredd att ge det yttersta, sitt eget liv. Därför behövs du och dina erfarenheter för vårt arbete, både nationellt och internationellt.

Arbetet som läkare i Försvarsmakten skiljer sig på många sätt från din ordinarie kliniska vardag.

Som ortoped arbetar du brett med fokus på trauma tillsammans med andra kvalificerade och motiverade kollegor. Du utvecklas både professionellt men också som människa samtidigt som du gör en viktig insats.

Vi söker dig som är eller snart blir specialist i ortopedi. Du måste vara svensk medborgare, frisk med en god fysik och vara beredd att tjänstgöra nationellt eller internationellt under en begränsad tid vid ett förband. Du behöver inte ha en tidigare militär utbildning – du får den utbildning du behöver. Även kvalificerade medicinska utbildningar.

Frågor? Du kan ringa oss på 072-181 15 28 eller maila till medicinalrekrytering@mil.se. Läs mer på forsvarsmakten.se/medicinalrekrytering. Tjänster läggs ut löpande på forsvarsmakten.se/ledigajobb.

Åsa Berggren jobbar med upphandlingar på Varuförsörjningen i Uppsala. Varuförsörjningen upphandlar förbrukningsmaterial och medicintekniska produkter och är ett samarbete mellan Regionerna Uppsala, Sörmland, Västmanland, Dalarna och Örebro.

Offentliga verksamheter hanterar och handlar för enorma summor skattemedel årligen. Många som arbetar i offentlig sjukvård har kommit i kontakt med en upphandlingsprocess. Det är sällan någon rusning till dessa sammankomster men de ska göras.

Som medlem i en referensgrupp har man inflytande på vilka implantat som ska upphandlas och vilka krav vi i verksamheten ställer på dem. Vi kliniker behöver ofta hjälp av kunnig kompetens för att genomföra själva processen, men upphandlingsenheterna behöver vår hjälp med att formulera kraven och behoven i verksamheten. De har ingen medicinsk kompetens och kan inte gissa vad vi behöver i våra verksamheter. Förutom själva grejerna behövs utbildning, service, leveranstrygghet och kanske snabb leverans ibland. Allt som beräknas kosta över en viss summa pengar upphandlas offentligt. Det går inte att handla för flera hundra tusen från någon kompis kusins enskilda firma utan upphandling. Lagen finns för att stävja korruption och främja konkurrens och transparens.

OM frågade Åsa Berggren, katergoriledare på Varuförsörjningen om hur det fungerar i praktiken.

Varför upphandlar vi enligt LOU?

"Regler finns kring upphandling för att främja kostnadseffektivt användande av skattemedel. Man vill undanröja ageranden som begränsar konkurrens och underlätta för företag att göra affärer med offentlig sektor.

LOU Lagen om offentlig upphandling

Regelverket är likadant i hela EU och bygger på EG-direktiv. Offentliga verksamheter och myndigheter är skyldiga att annonsera alla större inköp som kommer att göras för att intresserade företag ska beredas möjlighet att lämna bra anbud".

Hur går en upphandling till?

"En upphandling startar med att man samlar ihop en referensgrupp som är en grupp av kompetenta personer inom vården, det kan ingå representanter från flera regioner om upphandlingen görs gemensamt. Tillsammans med Kategoriledare på Varuförsörjningen så tar man fram ett underlag på de behov man har i den nya upphandlingen, man utgår ifrån det befintliga sortimentet och diskuterar fram hur den nya upphandlingen ska se ut. Under denna tid råder absolut sekretess. När artikelspecifikationen är sammansatt med referensgruppens behov skickar man ut en annons via en sida på nätet som alla leverantörer har tillgång till. Där kan leverantörerna gå in och läsa våra villkor för avtal samt vad vi söker. Annonsen ligger ute i 30 dagar och därefter samlas referensgruppen och sammanställer vilka anbud som är bäst.

För det mesta arbetar vi med Utvärderingsmodellen ”Lägsta pris”. Lägst totalkostnad räknas fram genom att anbudspris per position multipliceras med uppskattad förbrukning per position. Summan av varje position adderas sedan ihop till anbudets totalkostnad. Om produkten med lägst pris klarar de ska-krav som är ställt i förfrågningsunderlaget så antas den produkten. Ska-krav är obligatoriska och måste uppfyllas. Man kan också ha Bör-krav som kan ge ett mervärde men det inte är bindande som ska-kravet.

När man bestämt vilka produkter man vill anta, så gör man en Tilldelning, dvs meddelar alla anbudslämnande leverantörer beslutet. Därefter startar ”Överprövningstiden” om 10 dagar. Under dessa dagar ska leverantörerna om de har några invändningar mot beslutet meddela detta.

Finns det inga invändningar skapas det och skrivs avtal efter 10 dagar. Skulle någon leverantör ha en invändning och vi inte kommer överens kan leverantören göra en ”överprövning” till Förvaltningsrätten. Detta blir då en rättslig process som kan ta ganska lång tid. Skulle det endast gälla någon enstaka produktgrupp eller position kan man gå vidare med de andra för att skriva avtal på det".

Hur länge gäller en upphandling?

"Avtalen löper vanligtvis på 2 år med 2x1 års förlängning. 4 år är maxlängd för ett ramavtal och efter detta måste man göra en ny upphandling".

Får man operera med någon kul platta som inte är upphandlad?

"När ett avtal är påskrivet så förbinder vi oss till att följa dess innehåll och kan inte hur som köpa in andra produkter".

Karin Bernhoff Huvudredaktör för temat om implantat

Offentlig upphandling av höft- och knäprotesimplantat

Personliga erfarenheter och reflektioner kring en nyligen genomgången upphandling.

Maziar Mohaddes, Ann-Charlotte Westerlund, Johan Kärrholm

En regnig tisdagmorgon, mellan två operationer, frågade sektionschefen om jag ville delta som representant för läkargruppen i offentliga upphandlingar för höftoch knäledsimplantat och tillhörande bencement. Överläkarkollegan som förtjänstfullt hade skött detta tidigare hade gått i pension och nu behövdes en ersättare! Min vana trogen svarade jag: ”absolut, det låter spännande”.

Efter tre dagar kom det kallelser till inte mindre än åtta heldagsmöten under april-juni! Jag kontaktade chefen som också höjde ögonbrynen. Hen bad mig undersöka saken och det visade sig att upphandlingsavdelningen ville se ett ökat engagemang hos professionen vid upprättande av kravspecifikationer.

Under två av de bokade dagarna skulle det vara öppet-hus där företagen hade möjlighet att visa upp sina nya produkter och svara på eventuella funderingar. Det framkom också att två dagar hade reserverats utöver det beräknade behovet på totalt sex. Detta var en optimistisk kalkyl för det kom att behövas ytterligare fyra möten under hösten.

Ökat professionellt engagemang i arbetet med offentliga upphandlingar är

SUMMERING

Summerar man så kan det finnas både vinster och risker då vi debatterar vidare kring ett nationellt ramavtal. Onekligen finns det ett intresse för att förenkla upphandlingsförfarandet för implantat. Detta märks tydligast då kollegor som har varit delaktiga i upphandlingar tillfrågas om deras erfarenhet. Vidare förefaller det finnas ett intresse hos representanter i Swedish Medtech att frågan diskuteras. Styrelsen för Svenska höft- och knäföreningen tog upp frågan vid senaste styrelsemötet och valde att ställa sig positivt till tanken om att utvärdera möjligheterna för upprättandet av ett nationellt ramavtal. Ett beslut om frågan ska drivas vidare av Svenska höft- och knäföreningen kommer att tas vid styrelsemötet som följer ortopediveckan 2019. I väntan på det vore synpunkter och tankar från enskilda kollegor och även andra berörda inom sjukvården som till exempel operationssköterskor, representanter för upphandlingsavdelningar, materialkonsulenter samt företagsrepresentanter högst värdefulla.

viktigt, vilket speglades av att projektgruppen representerade hela regionen. Jag anser att detta arbete har varit oerhört lärorikt även om vissa frågetecken kvarstår, särskilt beträffande kostnadseffektiviteten i upphandlingsprocessen.

Min bakgrund som registermedarbetare och författare till delar av höftprotesregistrets årsrapport bidrar nog också till känslan att orimligt mycket arbetstid används vid offentliga upphandlingar av höft- och knäprotesimplantat. I Sverige används till exempel en mycket snäv selektion av implantat vid majoriteten av höftprotesoperationer.

Under de senaste två åren och i cirka 80% av fallen har man valt bland sju olika cup-design och tre stam-design. Samma typ av upphandlingar förekommer runt om i landet där kollegor är mer eller mindre delaktiga. Rimligen borde processen med offentliga upphandlingar kunna strömlinjeformas på ett bättre sätt. Man skulle inte behöva uppfinna hjulet gång på gång!

Sveriges proteskirurger skulle kunna enas om att ha ett nationellt ramavtal. I detta avtal skulle implantaten där den löpande dokumentationen uppfyller standardiserade krav, överenskomna av professionsrepresentanter, kunna upphandlas.

Nya eller modifierade implantat skulle kunna särbehandlas. Här bör det krävas att implantatet utvärderas i vetenskapliga studier och genomgår annan strukturerad uppföljning på ett begränsat antal kliniker. Lämplig typ av monitorering beslutas av professionen mot bakgrund av internationella erfarenheter och andra tillgängliga data, inte minst från kvalitetsregister i den mån sådana data finns. Den grupp av intresserade proteskirurger som tar ställning till enskilda implantats befintliga dokumentation skulle kunna tillsättas av Höft & Knäföreningen.

Det finns säkert flera knutar att lösa upp innan man kan sjösätta ett nationellt ramavtal. En viktig fråga är om vi inom professionen är intresserade av ett nationellt ramavtal för upphandling av i första hand primära höft- och knäproteser. Det kan vara svårt att omedelbart inse föroch nackdelar.

Potentiella fördelar är framför allt en enklare process och ett lägre pris. Frågan är vilka nackdelar som finns. Dessa frågor är inte helt lätta att bena ut, men en debatt mellan berörda parter inom sjukvård, leverantörer/tillverkare och kanske också sjukvårdsadministratörer och huvudmän i OM, eller på något av våra kommande möten, skulle kunna bidra till klarhet.

Som underlag för denna debatt har vi med hjälp av representanter för operationssköterskor på Sahlgrenska valt att presentera en lista med för- och nackdelar vid upprättandet av ett nationellt ramavtal.

FÖRDELAR

• Förenklad logistik vid upphandlingar

• Minskade kostnader vid upphandlingar

Minskade kostnader för inköp av implantat

Minskad administration för professionen samt upphandlingsavdelningar

Ökad användning av väldokumenterade implantat

Välordnat införande av nya implantat

Ökad transparens för patienter och beslutsfattare kring val av implantat

Ökad jämlikhet vid implantatval

NACKDELAR

• Minskad konkurrens på den svenska ”implantatmarknaden”

• Man kan inte ha parallella avtal, det vill säga göra egen regional upphandling om man är missnöjd med den nationella

Osäkerhet kring konsignationsavtalen

Inskränkningar i enskilda kirurgers möjlighet att välja implantat som inte vanligtvis används

Begränsningar vid införandet av nya implantatdesign

Vem sköter restsituationer på implantaten, regionalt eller nationellt?

AllPro är foten med en unik design som inte begränsar!

Den levererar lika bra vid promenad på plan mark som i ojämn terräng, detsamma gäller vid löpning, bollsporter och andra aktiviteter. Prova AllPro och märk skillnaden.

För inspiration gå in på #AllProAllstar

För mer information och kontaktuppgifter besök www.fillauer.eu

Bästa möjliga upphandling

Utgångspunkten för den här artikeln är två frågeställningar om upphandling,

som ofta ställs till oss på Swedish Medtech: 1 ”Hur ska vi arbeta för att få till bästa möjliga upphandling av ortopediska implantat”, samt 2 ”Hur ser industrin på frågan om nationell upphandling av ortopediska implantat?”

Förberedelsefasen

Uppföljningsfasen

Leverantör

Patienten i fokus

Referens/Expertgrupp

Upphandlande myndighet

Upphandlingsfasen

Den Goda Affären

Inspiration till kommunikation

Detta är två helt olika frågor. Den första frågan kan tolkas som att man ser upphandling som ett verktyg för att utveckla verksamheten. Man vill att upphandlingen ska bidra till ett övergripande mål om att åstadkomma bättre ortopedisk kirurgi för patienterna; och samtidigt ska detta ske på ett för samhället hållbart sätt.

Möjligen läser jag in för mycket i den första frågan, men i den andra frågan är det i alla fall svårt att se något sådant utvecklande, förbättrande syfte. Den andra frågeställningen tror jag snarare bygger på missförståndet att priset på ortopediska implantat är en viktig del i kostnaden för att genomföra ortopedisk kirurgi. Vad industrin tycker om nationella upphandlingar återkommer jag till mot slutet av artikeln.

Vad är målet med en upphandling? Varför upphandlar man över huvud taget? Vad menar man när man säger ”bästa möjliga upphandling”?

Det är inte lätt att genomföra bra upphandlingar. Alla intressenter har olika förväntningar medan tid och resurser ofta är begränsade. Dessutom är offentliga upphandlingar kringgärdade av ett strikt regelverk som ofta inte underlättar arbetet som ska leda till patientsäker vård och samtidigt en god affär.

Det man har att förhålla sig till är Lagen om Offentlig Upphandling (LOU 2016:1145), vilken bygger på ett EU-direktiv. Då Sverige i allt väsentligt har en skattefinansierad sjukvård är man hänvisad till LOU för att anskaffa all nödvändig medicinteknisk utrust-

Den goda affären – inspiration till kommunikation.

ning, produkter och tjänster. LOU har två primära syften: säkra konkurrensen inom EU samt att skattepengar används effektivt.

I en upphandling är det många olika intressen som ska tillgodoses. De olika aktörerna har alla sina egna önskemål och det är dessutom viktigt att förstå hur de olika intressenas incitament påverkar processen. Något som också påverkar upphandlingen är de ersättningssystem som finns för den aktuella kirurgin. Då flera av intressena har mål och incitament som är motstående, behöver man egentligen göra en prioritering över vilka mål som är viktigast. Denna prioritering ska vara transparent.

Det är inte ovanligt att professionen – i upphandlingssammanhang oftast

kallad expertgruppen – involveras så sent att dessa prioriteringar redan är gjorda. Om det förhåller sig så, finns det en risk att upphandlingen slutar i något som inte gynnar den part som borde vara i fokus för arbetet: patienten. Risken ökar då också för att även professionen blir mindre nöjd med resultatet.

Upphandlarens – och upphandlingsorganisationens uppdrag är ofta inriktat på produktpriser och med den utgångspunkten får ett positivt utfall betraktas som tur eller resultatet av en heroisk insats från upphandlare, expertgrupp och leverantörer snarare än resultatet av ett system med rationella, samverkande incitament. Fokus för upphandlare är det uppdrag man fått, vilket ofta handlar om att få på plats ett avtal som säkerställer tillgång till, för vården, viktiga produkter till så låga priser som möjligt.

Med de här förutsättningarna riskerar ett redan svårt arbete att bli ännu svårare. Risken med den här (o)ordningen är att de utvärderingskriterier man tar fram syftar till att undvika tids- och resurskrävande överprövningar samtidigt som produktkostnaden ska bli så låg som möjligt. Det är inte konstigt att det blir så här. Att utvärdera och jämföra anbud utifrån vilka medicinska utfall de förväntas medföra är svårt. Dessutom är det medicinska utfallet i hög utsträckning operatörs-, patient- och organisationsberoende, vilket sällan passar för utvärdering inom ramen för en upphandling av produkter. Det är dock inte detsamma som att upphandlingen inte kan och bör försöka väga in detta.

Medicinteknik är inte prylar – det är behandlingsmetoder. Detta bör man ha i åtanke när man planerar upphandlingar av medicinteknik. Detta faktum bör också föra med sig att man alltid – i hela upphandlingsprocessen – från förberedelsefasen till utvärderingen –involverar experter från professionen. Dessa ska bidra med kunskap om vad som finns tillgängligt på marknaden, vilka medicinska målsättningar man har, samt vilka utvecklingsbehov verksamheten har identifierat och vill genomföra. Det borde vara de här medicinska behoven och organisationsbehov som upphandlaren översätter till krav i upphandlingen. Om inte professionen engagerar sig i upphandlingen, har upphandlaren en nästan omöjlig uppgift. Detta gäller i särskilt hög utsträckning ett så komplext område som ortopedi.

För att upphandlingar ska leda till önskvärda utfall krävs dialog. De tre parter som ska ingå i dialogen är

expertgruppen, leverantörerna och upphandlaren. För att de lösningar och anbud leverantörerna tar fram ska vara så bra som möjligt behöver leverantörerna förstå vårdens behov på djupet och dessutom orientera professionen om den utveckling man bedriver samt vilka nya produkter som håller på att utvecklas. Professionens engagemang och nära kontakt med industrin är en förutsättning för att få tillgång till rätt verktyg som ska bidra till säkra operationer.

Swedish Medtech har, i samarbete med LfU (Landstingsnätverket för Upphandling), tagit fram två uppsättningar dokument som ska bidra till att upphandlingar blir ”bästa möjliga”. Det första kallas ”Den Goda Affären” och är riktlinjer för hur dialog bör föras inför, under och efter upphandling. Med undertiteln ”Inspiration till kommunikation” vill vägledningen hjälpa parterna att uppnå ömsesidig förståelse för och insikt om att man har ett gemensamt mål med verksamheten – patientens väl.

Den andra dokumentsamlingen är en uppsättning upphandlingsmallar för ortopediska implantat inom höft-, knä-, rygg- och traumakirurgi. Dessa togs fram på uppdrag av LfU för att råda bot på de svårigheter man upplevde från upphandlarsidan i ortopediupphandlingar. Man upplevde att upphandlingarna var mycket komplexa med en enorm mängd produkter och stöddokument i form av typoperationer för flera ingrepp, artikelspecifikationer, konsignationsavtalsmallar, leveransavtalsmallar och utvärderingsmodeller samt att de här upphandlingarna väldigt ofta överprövades. Mallarna som utarbetades är konkurrensneutrala och hjälper expertgruppen att utvärdera det man verkligen tycker är viktigt samtidigt som utvärderingskriterierna blir transparenta för anbudslämnarna. Mallarna hjälper också till att utvärdera andra faktorer som ofta är lika viktiga som produkterna; service, utbildning, leveransförmåga och kompetensutbyte.

Avslutningsvis ska jag ändå beröra frågan om nationella upphandlingar. Om man vill uppnå den teoretiska vinsten med att erbjuda större volymer till anbudsgivare, behöver man enas nationellt om vilka produkter som ska användas. Då t.o.m. de flesta regioner (särskilt de tre stora) har svårt att enas om en leverantörs sortiment och då istället upphandlar flera aktörer, kan man anta att exklusivavtal skulle vara nästintill omöjliga att åstadkomma för hela Sverige. Nackdelen med att ändå försöka är att konkurrensen blir betydligt mindre efter den första upphandlingen. De förlorande företagen tenderar att dra ner på sin verksamhet

i landet eller helt lämna marknaden. Exempel på detta har man sett i vårt grannland Norge, bland annat vid upphandling av kardiologiprodukter.

Summa summarum: Avgörande för att få till bästa möjliga upphandling är att professionen engagerar sig i upphandlingsarbetet och att man ser till att få till en löpande dialog mellan profession, upphandlare och leverantörer –allt med patientens bästa för ögonen.

SWEDISH MEDTECH

Swedish Medtech är branschorganisationen för de medicintekniska företagen i Sverige.

Med sina ungefär 180 medlemsföretag arbetar Swedish Medtech för att Sverige ska vara ett attraktivt land för medicintekniska företag, vilka med värdebaserade innovationer ökar patientsäkerheten och skapar en hållbar vård och omsorg.

Den medicintekniska branschen är mycket heterogen och detta återspeglar sig i den stora variation av produkter som medlemsföretagen erbjuder den svenska vården.

Produktområdena omfattar bland annat röntgen, ortopediska implantat, stentar, minimalinvasiv kirurgi, pacemakers, dialys, hjälpmedel för funktionshindrade, journalsystem, förbrukningsartiklar och mycket mer.

Bland medlemsföretag finns både tillverkande företag och distributörer. Storleksmässigt återfinns några av världens största företag så väl som små utvecklingsbolag.

I Sverige arbetar nästan 24 000 personer inom medtechbranschen.

Petrus Laestadius Vice VD Swedish Medtech

Arthrex ACP ® , behandling med tromobocytrik plasma

Behandling mot lindrig till måttlig artros

Fördelar

■ Autolog, regenerativ behandling

■ Inga biverkningar 1

■ Den autologa plasman kan beredas på endast 10 minuter

■ Slutet och sterilt system för beredning och användning

Användningsområde

■ Lindrig till måttlig artros (grad I–III) 1

Verkningssätt

■ Främjar läkningsprocessen genom en hög koncentration av tillväxtfaktorer 2 Initierar regenerationsprocessen och hämmar den inflammatoriska processen genom att frisätta tillväxtfaktorer

poäng på WOMAC-skalan Baslinjen jämfört med efter 12 månader

Placebo (koksaltlösning)

1 Smith PA: Intra-articular Autologous Conditioned Plasma Injections Provide Safe and Efficacious Treatment for Knee Osteoarthritis.

The American Journal of Sports Medicine. 2016;44(4):884-91

2 Mazzocca A et al: The positive effects of different platelet-rich plasma methods on human muscle, bone, and tendon cells.

The American Journal of Sports Medicine. 2012;40(8):1742-9

Dr Patrick Smith utförde år 2016 en dubbelblind, randomiserad, kontrollerad fas I-studie som var godkänd av FDA. Effektmåtten mättes med WOMACskalan. Den grupp som fick behandling med ACP (trombocytrik plasma) förbättrades med 78 % från baslinjen, jämfört med placebogruppen som endast förbättrades med 7 %.

För mer information om Arthrex ACP-behandling: www arthrex.com/orthobiologics/autologuos-conditioned_plasma

© Arthrex GmbH, 2018. Alla rättigheter förbehållna.

”Stepwise framåt”

— registrens roll i införandet av innovation

Det har ibland hävdats att de stora, och kanske i synnerhet de svenska protesregistren, har fått ”innovationsfientliga” drag. Om man med detta menar att Sveriges ortopeder smalnat av implantatfloran, alltså frivilligt använder ett mindre antal implantattyper, så beror det på att vi medvetet väljer proteser med goda resultat i årsrapporterna – och det är ju helt rätt att göra så! Men det ligger faktiskt något i kritiken: Självklart ska registren inte förhindra innovation, de ska befrämja den, fast under kontrollerade former. Några av ortopedins största misslyckanden hade kunnat förhindras eller upptäckas tidigare om man följt en algoritm för säkert införande av nya tekniker: ”Stepwise introduction”.

STEPWISE INTRODUCTION —VÄLKÄNT MEN FÖRSAKAT?

Idén bakom “Stepwise Introduction” lanserades 1995 och illustreras av figuren på motstående sida. Principen har diskuterats de senaste 25 åren och tyvärr är det ”metall-metall”-katastrofen som återigen har aktualiserat principen.

”The initial Step” bör inkludera alla aspekter av preklinisk dokumentation, vid behov även djurstudier. ”Clinical Step I” omfattar randomiserade kliniska studier och med dagens IT kan dessa genomföras via kvalitetsregistren, antingen nationellt eller bättre via internationella studier. ”Clinical Step II” är den traditionella kliniska multicenterstudien, även här är internationella studier att föredra. ”Clinical Step III” har utvecklats mycket i takt med ökat genomslag internationellt av de regionala och nationella kvalitetsregistren, www. ISARhome.org

”REGISTER-RANDOMISERADE STUDIER”

Men registrens roll inom ortopedisk innovation stannar inte där. Vi har precis öppnat dörren för att etablerade och validerade ortopediska kvalitetsregister kan ta en framskjuten position när det gäller att följa, övervaka och utvärdera införandet av innovativa operationstekniker och nya implantat. Begrepp som ”post-market surveillance” och ”register-randomiserade studier” är nyckelorden i en framtida utveckling av registren mot att vara verktyg för ordnat införande av nya teknologier.

Det är synd att behöva medge det, men svensk kardiologi hade faktiskt näsan framme när det gällde att utveckla kvalitetsregister till en plattform för prospektivt randomiserad forskning. För 15 år sedan var många av Sveriges kardiologer övertygade om att det var bra att suga ut tromber ur kranskärl i samband med insättandet av en stent,

och den första register-randomiserade studien inom kardiologins register ”Swedeheart” sattes upp. Och se där, i motsats till allt man hade trott visade det sig att utsugning av emboli var en helt meningslös åtgärd, och den har numera förpassats till kardiologernas garderob. Inspirerade av detta till synes enkla koncept har flera idéer till registerbaserade ortopediska studier blommat upp, med initialt mycket stort gensvar både från Sveriges ortopeder, Vetenskapsrådet och andra finansiärer med starka muskler.

PLASMA-SCIENCE-FICTION FÖR ATT FÖRHINDRA ORTOPEDISKA INFEKTIONER?

En riktigt stor registerbaserad prospektivt randomiserad studie på temat ortopediska infektioner drogs igång för ett par år sedan. ”EPOS”-studien går ut på att undersöka om plasma-luftreningsapparater som reducerar antalet cirkulerande bakterier i luften på en opera-

Dessa båda typer av höftfraktur kommer att undersökas inom ramen för två registerbaserade randomiserade studier. Dislocerad (t.v.) respektive odislocerad collumfraktur (t.h.).

nedanstående figur. Principen har diskuterats senaste 25 år och tyvärr är det ”metall-metall” katastrofen som återigen har aktualiserat principen.

tionssal kan minska risken för postoperativa infektioner. Dessa luftreningsapparater har numera installerats på dussintals salar på operationsavdelningar över hela landet, de slås på och av enligt ett randomiserat mönster, och som operatör har man nöjet att höra det diskreta surret av hela tre sådana apparater under pågående verkstad. Det finurliga är att apparaterna ALLTID låter, även om de inte aktivt renar luften, så bara studiens piloter vet efter inklusionstidens slut när man hade aktiv luftrening påslagen och när den inte var igång. Data från alla patienter som opererats på något av studiesjukhusen inhämtas efter studiens slut från Socialstyrelsens patientregister och läkemedelsregister, och där trålar man efter reoperationer pga infektion, förskrivning av antibiotika och annat som kan indikera att postoperativa infektioner uppstod. Om några år får vi förhoppningsvis veta om plasmaluftrening kan minska bakteriebördan på sal och därmed minska risken för sårinfektioner, och om konceptet kanske kan ersätta avancerade (och dyrare) ventilationssystem som laminärt flöde.

ÄR HÖFTPROTES HIPPARE ÄN SKRUV? OCH ÄR DUBBELCUPPAR BÄTTRE ÄN STANDARDCUPPAR?

Multicenter Studies

Clinical Step II

Register Studies

Clinical Step III

Prospective Randomized Studies

Clinical Step I

Preclinical Testing

Initial Step

H. Malchau, Thesis, 1995

retrieval and explant analysis

Vi tror oss veta att dubbelcuppar minskar risken för luxation, men evidensen bakom detta är svag, och även här krävs en brett anlagd studie på ett tusental patienter för att kunna svara på frågan. Redan nu har 14 ortopedkliniker som idag använder dubbelcuppar på frakturpatienter visat intresse för att ansluta sig till ”DUALITY”-studien. Inklusionen ska ske på exakt samma sätt som i HipSTher-studien, fast nu plingar det istället till när man har lagt in en patient med collumfraktur grad 3 eller 4 enligt Garden.

En kollektiv insats av nästan hela landets ortopedkliniker, Svenska frakturregistret och Svenska höftprotesregistret behövs för att tackla en spännande fråga som är hett diskussionsstoff på röntgenronder: Ska även odislocerade collumfrakturer på äldre patienter opereras med protes? Med tanke på att risken för haveri eller caputnekros efter osteosyntes ligger på upp till 18% även på odislocerade frakturer kan det vara värt att fundera på om inte alla collumfrakturer på äldre borde protesförsörjas. Därför är nu en stor register-RCT under kodnamnet ”HipSTher” på väg att startas, med målet att inkludera drygt 1.000 patienter med höftfraktur. Upplägget är så enkelt som möjligt: Registrerar man in en patient med diagnoskod S72.00 och felställning grad 1 eller 2 enligt Garden i frakturregistrets inmatningsplattform kommer det att plinga till, och man kommer att tillfrågas om man vill inkludera patienten i studien. Då ska man helst svara JA! — går och inhämtar patientens samtycke, och trycker sedan på nästa knapp som ger en randomisering till antingen osteosyntes eller protes. Studien är pragmatisk, så val av skruv eller spik, respektive halv- eller helprotes, är helt upp till operatören.

I ”HipSTher”-studiens kölvatten seglar nästa register-RCT upp, dock nu på frågan om dubbelcuppar verkligen är bättre än standardcuppar när man sätter helprotes på frakturpatienter.

REGISTRENS FRAMTIDA ROLL

Och när ortopeder väl sätter igång är det ingen hejd: Redan nu smids konkreta planer för att starta flera register-RCT: En jättestudie ska studera frågan om dubbelantibiotika i cementen som används för fixation av halvproteser kan minska risken för infektion, även här med frakturregistret som inmatnings- och randomiseringsplattform. Det spånas kring möjligheten att randomisera unga patienter med unikompartimentell knäartros till unirespektive totalprotes i knäleden, och så vidare. På Ortopediveckan i Norrköping kommer det att ges mer information om vilka studier som pågår, vilka som är i planeringsstadiet – och om man sitter och ruvar på en genialisk plan på en register-RCT får man gärna ta den med sig!

Det är fullt möjligt att utveckla detta koncept vidare, även om det naturligtvis inte kommer att vara enkelt. Alla studier behöver inte vara rikstäckande, det kan handla om frågor som inte berör vare sig fraktur- eller proteskirurgi, enbart vissa frågeställningar kan använda frakturregistret som inmatningsplattform, men den gemensamma nämnaren är att använda våra kvalitetsregister i syfte att bedriva prospektiv forskning. ”The next generation of orthopaedic registry research is here”, för att citera en känd australiensisk registerforskare.

”The initial Step” bör inkludera alla aspekter av preklinisk dokumentation, vid behov även djurstudier. ”Clinical Step I” omfattar randomiserade kliniska studier och med dagens IT kan dessa genomföres via kvalitetsregistren, nationellt eller bättra via internationella studier. ”Clinical Step II” är det traditionella kliniska multicenter studie, även här är internationella studier att föredra. ”Clinical Step III” har utvecklats mycket i takt med ökad genomslag internationellt av regionala och nationella kvalitetsregistren (ref www.ISARhome.org)

Om några år får vi veta om plasmaluftrening kan minska bakteriebördan på sal och därmed minska risken för sårinfektioner. Här påvisar Olof Sköldenberg, MD, PhD på Danderyds sjukhus, luftrenaren på en av deras operationssalar.

Nils Hailer

Professor i ortopedi och överläkare Akademiska sjukhuset i Uppsala

Henrik Malchau

Professor i ortopedi och verksamhetschef Sahlgrenska universitetssjukhuset

"Stepwise introduction" lanserades 1995 och är ett verktyg för ordnat införande av nya teknologier.

Spårbarhet – varför det?

Livsmedelsbranschen, transportväsendet, fordonsindustrin … snart har alla branscher sina egna blockkedjor.

BLOCKKEDJA

En blockkedja, på engelska blockchain, gör det möjligt för ett nätverk av datorer att regelbundet komma överens om det sanna tillståndet för en distribuerad liggare, det vill säga en förteckning över händelser, fördelad i identiska exemplar på många datorer. Syftet är att göra det omöjligt att radera eller förvanska informationen utan att det upptäcks.

Det är blockkedjan som gör att du kan klicka på en länk och spåra paketet som du beställde några timmar tidigare på nätet. Det är blockkedjan som bidrar till att fransmannen i Carrefourbutiken kan skanna etiketten på kycklingen med den egna mobiltelefonen och få upp vilken gård kycklingen kommer ifrån, var och när den slaktades, hur den transporterades och hur länge den har legat i butikens kyldisk. Alla händelser kopplade till produkten är samlade och händelserna har registrerats på ett stort antal datorer, i en så kallad blockkedja. Spårbarheten är därmed total och risken för matfusk minimal.

Varför ska man överhuvudtaget berätta om det här i en ortopedisk tidskrift? Jo, för att spårbarhet är en medicinsk debattfråga, något som kanske rent av blir en tvingande lag när det gäller kirurgiska implantat. Men än så länge saknas en global blockkedja för medtech.

Det har tagit de största aktörerna inom livsmedelsbranschen ungefär 20 år att komma dit de är idag. Nu går det självfallet fortare när tekniken är på plats, men det kommer att ta tid och krävs flera mäktiga aktörer som går samman för att skapa en global blockkedja för medtech. Men hos vem ligger egentligen bollen – vårdgivarna eller industrin?

En person som länge har försökt påkalla Landstingens uppmärksamhet i frågan är Olle Svensson, professor vid Umeå Universitetssjukhus.

– Det krävs alltså en överenskommelse lik den man gjorde på 1800-talet när man byggde järnvägarna. Man blev tvungen att bestämma sig för en och samma spårvidd och om gemensamma tidszoner för att det skulle bli något bygge. Det är samma sak här, säger han.

Västerbottensortopedin och SOF driver sedan flera år ett logistikprogram för implantat, det heter Sätta streck.

– Det borde vara ett nationellt projekt, men så är det inte. Redan för tio år sedan började vi jobba med det här, men oviljan bland läkarna är stor. Man vill inte ändra på befintliga strukturer och Landstingen har ingalunda visat sig vara någon förenande kraft, tvärtom. Med dålig ledning och någon slags rätt att göra om samma misstag flera gånger händer inte mycket, säger han.

10-PROCENTIG PRODUKTIVITETSÖKNING Ortopeden på NUS har tagit fram siffror som kan visa besparingspotentialen för spårbara implantat i kronor och tid.

– Det är en ohygglig massa steg och personer inblandade i arbetet med att

Idag tar det 2,2 sekunder att spåra den här mangon från en Walmartbutik i USA tillbaka till den mexikanska gård som den odlats på.

hantera implantaten på en operationsavdelning, och allt sker manuellt. Allt från att knappa in nummer, registrera och beställa, till att fakturera. Dessutom blir det gärna dubbelregistreringar; samma sak ska skrivas in på flera ställen och när den mänskliga faktorn gör sitt blir det lätt fel. Informationen om vilka implantat som har blivit restade och när implantatets förväntas anlända till kliniken är minst sagt bristfällig. Därtill är lagerstatusen för kliniken ofta okänd fram till den årliga manuella inventeringen, förklarar Olle Svensson.

Olle Svensson.

Funkar både på flygplan och människor

Ortopediskt Magasin pratar med David Mäki som är Business controller i Region Västerbotten. Han har arbetat för Airbus i Toulouse och jämförelsen mellan hur de och den svensk sjukvården jobbar med spårbarhet är intressant.

– För flygplanstillverkaren är det oerhört viktigt att hålla koll på alla specifika delar i produktion. Varje del registreras genom hela produktionsprocessen (många gånger automatiskt) där sista steget är montören som efter installation scannar med handscanner, säger David Mäki.

Han berättar att det många gånger handlar om testfaser, där man håller extra koll på nya delar i produktion.

– Mängdartiklar (som bultar och skruvar) har ett artikelnummer och batchnummer. Om en skruv eller del visar sig vara undermålig på något sätt söker man på batchnummer och får med ett par knapptryckningar upp exakt hur många skruvar det handlar om, i vilka flygplan de finns monterade och var de sitter.

David Mäki menar att det egentligen inte är svårt att implementera ett liknande system i vården rent tekniskt, utan att det snarare handlar om att ändra människors beteende och syn på hur arbetet ska utföras.

Teamets uppskattning av tid och resurser som tas i anspråk ser ut så här:

• Den administrativa tiden för vårdpersonal per operation är lågt räknat 40 minuter.

• Svinnet, på grund av bland annat utdaterade produkter, uppskattas till 5%.

• Strukna operationer, på grund av att implantat och verktyg inte finns på plats, är ca 5%.

• Ortopeden i Umeå har ett lagervärde på 10 miljoner kronor, vilket är orimligt mycket.

Utifrån den här uppskattningen tror Olle Svenssons att man skulle kunna öka produktiviteten på operation med ca 10% genom att implementera spårbara implantat på kliniken och se över logistiken från grunden.

– På NUS har vi alltså ett lager värt tio miljoner kronor. Låt oss jämföra med bilindustrin som kan slå i en dator var som helst i världen och se att det finns en slot-tid i Stuttgart en viss vecka för att bygga just den bilmodellen som kunden vill köpa. Där har vi en helt annan effektivitet.

Olle Svensson tror att medtech-branschen välkomnar ett samlat grepp kring spårbarhet av kirurgiska implantat. De har redan sina batchnummer vid produktion och transport av pro-

dukterna, men streckkoderna slutar gälla vid sjukhusens godsmottagning. En global blockkedja som snabbt kunde spåra implantat som inte håller måttet skulle spara industrin miljarder i skadeståndskostnader, menar Olle Svensson.

– Som det är nu upptäcks felen först långt senare, i något av kvalitetsregistren – som ju faktiskt bygger på obsolet teknik. Om vi hade spårbarhet på våra implantat kunde man dessutom börja diskutera kvalitetsregistrens vara eller icke vara, säger han.

VAD VINNER PATIENTEN?

Om samtliga implantat som opereras in i patienter idag hade en streckkod som skannades vid operationstillfället kunde uppgifter om implantatets typ, modell, storlek, tillverkare och batch i tillverkarnas produktdatabaser länkas till patientens journal, sjukhusets lager, ekonomisystem och beställningssystem samt till valda kvalitetsregister. Det viktiga är dock att implantatet scannas vid varje överföringstillfälle i distributionskedjan.

För patienten skulle kunskapen om exakt vilka produkter som används vid operationen kunna öka säkerheten, om något visar sig vara fel med just den typen av implantat. Att skanna in data istället för att skriva in den manuellt innebär också

en ökad säkerhet. Därtill kan ett lagersystem som automatiskt skickar iväg en beställning till tillverkaren av implantatet när lagret nått ett undre gränsvärde, minska antalet inställda operationer, då rätt implantat finns hemma på hyllan i större utsträckning. Vinsterna är som sagt många, men vägen dit är lång.

– Det första är samordningen, som vi pratade om tidigare. Sveriges landsting/ regioner och en handfull större privata aktörer måste enas. Det handlar om att ändra upphandling och IT-system liksom organisationen på operationsavdelningarna. Det är ett jätteprojekt, som måste lyftas upp på internationell nivå, det är jag övertygad om, avslutar Olle Svensson.

Linda Linnskog Rudh Redaktionschef Ortopediskt Magasin

David Mäki.
“Experience is a series of misstakes you hope never to repeat”

En gammal ortopeds erfarenheter

Ortopedin har under de senaste hundra åren genomgått en fantastisk utveckling med ett stort antal välfungerande metoder och behandlingar, inte minst med hjälp av implantat.

Den moderna höftprotesen blev en av 1900-talets stora medicinska innovationer och har följts av proteser i andra leder som gradvis förbättrats och utvecklats genom ett systematiskt kvalitetsarbete.

På samma sätt har utvecklingen inom frakturkirurgin och andra områden av ortopedin varit beroende av utvecklingen av implantat och instrumentarier. Våra patienter kan nu ofta besparas livslånga lidanden, långa smärtsamma behandlingar och invaliditet med hjälp av nya implantat. Men alla nya metoder har inte varit lyckade – trots att de ofta utgått från en rimlig hypotes. Här är några exempel som vi kanske kan lära oss något av.

YTERSÄTTNINGSPROTESER I HÖFTLEDEN

Bakgrund: Unga och aktiva patienter har en ökad risk för protesrelaterade komplikationer. Det kan också uppstå svårigheter att rekonstruera en protesled på grund av att ben resecerats i samband med primäroperationen. Unga patienter med höftprotes vill kunna ägna sig åt krävande idrott utan att riskerat att höften hoppar ur led.

Hypotes: Grundtankarna är att 1: bevara patientens lårbenshuvud, 2: att resecera så lite ben som möjligt och 3: att skapa en stabil led genom att använda stora diametrar på ledhuvudet. Genom att använda leder med metall mot metall kan minimalt med ben reseceras på både ledhuvud och ledskål. Med tillkomst av nya tillverkningstekniker för metaller kan en ledprotes med mycket låg friktion skapas. Metall mot metall-leder har teoretiskt en lång hållbarhet.

Tidigare erfarenheter: De tidiga försöken med bland annat Wagnerpotesen fick snabbt överges på grund av komplikationer främst orsakade av cirkulationsrubbningar i lårbenshuvudet och snabb protesförslitning beroende på de stora friktionsytorna.

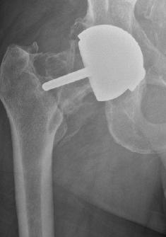
Resultat: De nya ytersättningsproteserna introducerades av främst McMinn och Amstutz strax efter sekelskiftet 2000 och fick ett betydande genomslag, inte minst som protes för unga och aktiva ”idrottsprotes” (bild till höger). Rapporter om komplikationer med höga nivåer av metalljoner, destruerande

mjukvävnad runt leden (pseudotumör) och collumfrakturer började dock relativt snart påverka entusiasmen.

En av tillverkarna drog 2010 in sin protes med omedelbar verkan. Men nästan 100 000 patienter hade då redan blivit opererade med denna protes. Härefter har metoden snabbt minskat i användning – även om vissa ”entusiaster” fortsätter att genomföra operationen. De vetenskapligt verifierade riskerna med ytersättningsprotes är;

1. Avaskulär nekros av collum/caput (bild). Detta kan leda till fraktur på lårbenshalsen.

Röntgen av osteolys, caputnekros och collumfraktur samt en ytersättningsprotes infälld i bild.

2. Pseudotumör – som i vissa fall kan bli mycket stor och destruera benet runt leden. Pseudotumör har kopplats till ökade koncentrationer av metalljoner i vävnaden kring protesen och i blodet. Pseudotumörer kan förekomma både hos patienter som erhållit ytersättningsprotes och sådana som opererats med andra helproteser med stort metallhuvud kombinerat ledskål i metall.

3. Höga nivåer av cirkulerande metalljoner (krom och kobolt) från ledens ytor.

Genom hårt driven marknadsföring främst via nätet träffar vi tyvärr fortfarande på patienter som är nyopererade med ytersättningsproteser – ofta i Belgien eller Holland – och som snabbt har drabbats av komplikationer. I allt för många fall har unga patienter drabbats av alvarliga och helt onödiga komplikationer. Patienter med metall mot metall-leder behöver dessutom följas avseende nivåer av metalljoner och utveckling av pseudotumör – vilket är mycket kostsamt och helt onödigt eftersom det finns betydligt säkrare alternativ.

Foto: Mostphotos.

Analys (på nätet) av varför svenska ortopeder inte opererar fler ytersättningsproteser.

BONELOC

Bakgrund: Bencement (metylmetacrylat) introducerades av John Charnley som en metod att fixera en höftprotes till ben. Metoden har sedan utvecklats med renare kemikalier och bättre blandningstekniker. Trots detta är kontaktytorna mellan ben och cement en svag punkt i fixationen och proteslossning i kontaktytan mellan ben och cement är en av de vanligaste orsakerna till protesrevision. En bidragande orsak till detta kan vara att metylmetacrylat polymeriserar med relativt hög temperaturutveckling (cirka 50 grader) som kan skada benvävnaden, särskilt om cementlagret är tjock och benets genomblödning låg.

Hypotes: Genom att skapa ett bencement med lägre polymeriseringstemperaturer kan man undvika proteslossning genom att benvävnaden inte skadas vid cementeringen.

Resultat: Ett bencement (Boneloc) med låg polymeriseringstemperatur utvecklades och fick snabbt viss spridning. Cirka 3.300 patienter opererades mellan 1990 och 1995 med proteser som fixerades med Boneloc. Relativt snart kom dock rapporter om en kraftigt ökad risk för proteslossning. Det visade sig att de komponenter som tillsats för att minska värmeutvecklingen även påverkade cementets mekaniska egenskaper. Boneloc används inte längre.

PLATT FOT BOT

Bakgrund: Platt Fot Bot eller HyProCure (Hyper pronation cure) är en metod som innebär att en titanskruv (stent) skruvas in i sinus tarsi på patienter med pes plonovalgus.

vid plattfot (se bild ovan). Genom att välja storlek på skruv kan man enkelt bestämma hur mycket fotvalv man vill ha. Metoden anges inte bara bota plattfot utan även besvär från höft, knä och rygg!

Resultat: Metoden marknadsförs intensivt på nätet och med hjälp av s.k. influencers. Trots att filosofin bakom metoden är biomekaniskt och biologiskt felaktig och trots att det helt saknas vetenskaplig dokumentation (om man undantar sju publikationer av metodens uppfinnare, varav flertalet avser försök på avlidna) har metoden fått viss spridning även i Sverige. Det finns ingen oberoende vetenskaplig granskning och inga långtidsuppföljningar. Däremot finns missnöjda patienter som inte bara fått skruvar inskruvade utan ofta även utskruvade.

VAD KAN VI NU LÄRA OSS AV DETTA?

En viktig lärdom är att även bra idéer kan fungera dåligt. Det gäller att noga och kritiskt utvärdera nya metoder i verkligheten. Biologin är ofta så komplex att endast en test i reell miljö kan ge svar på om ett implantat fungerar som avsett. Klinisk utvärdering måste naturligtvis föregås av biomekaniska tester och andra analyser som kan minska riskerna vid en biologisk test. De riktlinjer som bland annat beskrevs i Henrik Malchaus avhandling ” On the importance of stepwise introduction of new hip implant technology” är relevanta. En annan viktig princip att begrunda är att även om vårt mål är att hjälpa så kanske det är ännu viktigare att inte skada.

Karl Popper – en av forskarvärldens klokaste personer – ansåg att en forskare bör ställa upp en hypotes och sedan gör allt hon/han kan för att motbevisa sin hypotes. Först när det inte går får den, tills vidare, anses vara sann. Här är några sådana hypoteser (metoder) som fortfarande behöver bevisas trots att metoderna är i flitig användning av oss ortopeder;

Diskproteser ger bättre funktion, mindre smärta och färre komplikationer än 1: fusion, 2: dekompression, eller 3: ingen kirurgisk behandling alls.

Kyfoplastik/vertebroplastik ger bättre långtidsresultat (smärta, värk, funktion) vid behandling av osteoporotiska kotfrakturer än konservativ behandling. (En hel del talar för att denna hypotes är svag eftersom metoden nu används i betydligt mindre utsträckning än i samband med dess entusiastiska introduktion. En kommersiell framgång har det dock varit).

Brosktransplantation vid broskskador i stora leder minskar risken för artros.

Höftledsartroskopi, med eller utan intervention, är en säker metod som inte ökar risken för degenerativa förändringar och som tillför diagnostisk information utöver vad som kan fås med icke-invasiva metoder.

Så nog finns det att göra!

Hypotes: genom att göra en artroris (skruva in en titanskruv mellan talus och calcaneus) kan fotens längsgående fotvalv återställas

Foto: John Eliasson.

Olle Nilsson Professor och överläkare Akademiska sjukhuset i Uppsala

PET-CT av ytersättningsprotes 1 vecka, 4 månader och 14 månader efter operationen. Pilarna visar en gradvis utveckling av caputnekros i den opererade höften. Gösta Ullmark, Gävle.

Perfekt passning

Flivik och hans kollegor

Ortopediskt Magasin pratar med Gunnar Flivik, docent vid ortopeden på Skånes Universitetssjukhus i Lund, om skräddarsydda implantat framtagna med 3D-printning för höftpatienter.

– När man gjort flera höftrevisioner på samma patient, det är stora bendefekter och inget verkar fungera, då är det dags att ta till patientspecifika, skräddarsydda implantat, baserat på datortomografiundersökning av patienten och tillverkade med hjälp av 3D-printning, förklarar Gunnar Flivik.

Dessa implantat har definitivt ändrat förutsättningarna för patienter som står inför stora krävande acetabulära revisioner. Det handlar om patientspecifika rekonstruktionsringar som överbryggar och fyller ut stora bäckendefekter och som man sedan kan fixera vanliga cupar i.

– Vi var först i Norden med att använda den här specifika tekniken med vår

Postoperativ röntgen av implantat efter resektion av chondrosarkom. Operationen görs av tumörortopederna i samarbete med artroplastikteamet.

Gunnar
i Lund var först i Norden med att använda skräddarsydda acetabulära implantat tillverkade med hjälp av 3D-printning.-

första operation gjord 2012. Idag har vi på SUS gjort 30 operationer med den här typen av implantat, i Norden totalt drygt 100 och över hela världen är det ca 700 operationer gjorda. Så här långt ser våra resultat väldigt bra ut, inte minst med tanke på omfattningen av kirurgin och den känsliga patientkategorin.

Gunnar Flivik berättar att det hela börjar med att man gör en datortomografiundersökning (DT) över patientens bäcken och höftled, vilken sedan skickas ner till Materialise i Belgien, ett av de största 3D-printingföretagen i världen. De gör en omfattande analys av materialet, inkluderande segmentering så man får en fullständig bild av bendefekten och kvaliteten på benet ikring. Via en webbapplikation kan man ta del av hela analysen, och får ta ställning till det protesförslag som de tar fram och som är en form av förstärkningsring med inbyggda augment, vingar som går ut över benytorna och ett antal förankringsskruvar som går in i det ben som anses ha tillräckligt bra kvalitet. Man kan sedan föreslå förändringar, till exempel skruvarnas antal och tänkta vinkel eller längd.

– När vi är överens om protesens utformning och jag har godkänt modellen 3D-printas den i titan. Dessutom skapas en 3D-printad plastmodell av protesen och den specifika patientens bäcken. Detta är en stor fördel då plastmodellen kan steriliseras och man kan ha den under operationen och får på det viset en utomordentlig bild av hur skelettet och defekterna ser ut.

Man får dessutom med borrguider som fästs temporärt i implantatet vilket gör att man med stor säkerhet vet i vilken riktning och till vilket djup man ska borra och sedan är det bara att ta den tilltänkta skruven. Man har dessutom en detaljerad fallspecifik operationsrapport som man kan studera före operationen.

– En stor fördel är att man redan under planeringsstadiet kan försöka optimera biomekaniken så mycket det går genom att till exempel placera rotationscentrum korrekt.

Det krävs ganska stora friläggningar och implantatet ska docka ner på skelettet med precision så att allting överensstämmer med planen. Varken benkvaliteten eller defekterna är någon överraskning och implantatet är skräddarsytt för defekten, så några ytterligare justeringar behövs inte. Fortlöper allt som det ska vinner man mycket i tid och får en förvånansvärt stabil rekonstruktion att sedan cementera en ny cup i.

Implantat

Förslag på implantatmodell inkluderande benkvalitetsmodell hos patient med bäckendissociation.

– Vi har hittills låtit patienterna mobilisera väsentligen fritt efter operationen som vilken annan revision som helst. Idag har de flesta universitetskliniker i Sverige börjat använda tekniken.

Gunnar Flivik menar att det är en fördel om dessa operationer, som ju sannolikt inte är så många varje år i Sverige, centraliseras till ett mindre antal kliniker för att dessa ska få tillräcklig erfarenhet och kunskap för att upprätthålla kvaliteten. Proceduren kräver ett lite annat tänk och handhavande, men resultatet för dessa komplicerade fall verkar hittills bli riktigt bra.

– Vi har, genom upprepade CT-undersökningar på ett mindre antal patienter, gjort en studie där vi mätt på hur nära vi egentligen hamnar planerat protesläge och dessutom vad som händer under första året. Det visar sig att man kommer förvånansvärt nära den på förhand planerade positionen och framförallt verkar implantaten sitta väldigt stabilt under det första året, vilket ju känns betryggande för framtiden.

En nackdel med dessa implantat är naturligtvis att det tar tid för produktion och leverans, cirka 4-5 veckor från DT-skanningen. Kostnaden för implantatet överstiger förstås också standardimplantat för höftrevisioner. Detta ska dock ställas i relation till alternativen och det här handlar ofta om patienter som genomgått ett flertal operationer tidigare där nu kanske inga andra riktigt bra alternativ finns. Dessutom

Plastmodell av patientens bäcken samt implantat och borrguider.

vinner man rätt mycket operationstid på att det är skräddarsytt och att allt är så väl förberett och planerat.

– De patienter som kommer in akut, där allt har rasat och som kräver omedelbar operation, kan vi tyvärr inte hjälpa med den här typen av implantat. I bästa fall kan tiden från CT till att ett färdigt implantat når oss vara tre veckor, säger Gunnar Flivik.

– Oftast är det omfattande cuplossningar vi använder detta på men vi har också, tillsammans med tumörortopederna, gjort ett par tumörfall med recidiv av chondrosarkom där vi sågar ut tumören med god marginal och med hjälp av specifika sågjiggar och sedan sätter in det skräddarsydda implantatet.

3D-modellering av höftledsimplantat

Generella fördelar med skräddarsydda 3D-printade höftledsimplantat:

Skapar en mycket stabil rekonstruktion

Hanterar och fyller ut benförluster, kan kompletteras med benpackning. En korrekt biomekanik och återskapande av rotationscentrum ingår i den preoperativa planeringen

• Exakta planerade flänsar/vingar som inte behöver justeras

Exakt planerade skruvhål med borrguide

Korsande skruvriktning ger bättre låsning

• Integrerad förstärkning, implantatet formad efter skelettet

• Kirurgen väl förberedd med plastmodell och operationsrapport

Linda Linnskog Rudh Redaktionschef
Ortopediskt Magasin

GOAL : Off-loading the ulcerated area

PROBLEM

DIGITAL ULCERS DORSAL

DIABETIC FOOT ORTHOTICS TRIAGE: “ACUTE PHASE”

SOLUTIONS

TERAPES

FOREFOOT ULCERS WITHOUT INFECTION Gold standard: TCC WITH INFECTION AND ISCHEMY

MIDFOOT ULCERS WITHOUT INFECTION Gold standard: TCC WITH INFECTION AND ISCHEMY

REARFOOT ULCERS WITHOUT INFECTION

WITH INFECTION AND ISCHEMY

Sizes: 35-47 TD

Sizes: 35-47

MODUS INSOLE

Sizes: 35-47

Sizes: 35-46

or CUSTOMIZED INSOLE WITH FOREFOOT DORSIFLEXION

TD WITH STABILITY

Sizes: 35-47 WPS

STABIL-D WITHOUT ANKLE

STABILITY

Sizes: 35-47

MODUS INSOLE

Sizes: 35-46

Sizes: 35-48 or CUSTOMIZED INSOLE WITH FOREFOOT DORSIFLEXION

Sizes: 35-48 or CUSTOM MADE INSOLE

TD WITH STABILITY

Sizes: 35-47

STABIL-D WITHOUT ANKLE

STABILITY

Sizes: 35-47

WALKER WALKER

TERAHEEL

Sizes: S-M-L-XL

MODUS INSOLE

Sizes: 35-46

Sizes: 35-46 or CUSTOM MADE INSOLE

Sizes: 35-46

HEEL BOOT DECUBITUS/ WHEELCHAIR

Sizes: S-M-L-XL

”Utbildning är det som finns kvar när man glömt det man lärde sig i skolan”

Min åsikt är att branschen i stort behöver bli bättre på att få till ett strukturerat och kontinuerligt lärande, både för organisationen och för den enskilde individen. Det är viktigt att arbetsgivarna kan erbjuda och också ställa krav på kontinuerlig utveckling för sina ortopedingenjörer, vare sig det är på hemmaplan eller hos extern part.

Har alla arbetsgivare en tydlig och strukturerad introduktionsplan för nyexaminerade? En plan som kontinuerligt följs upp och förbättras i takt med att ny teknik introduceras och då studenterna med den nya utbildningen kommer ut på arbetsmarknaden. Finns det utbildningsplaner och möjlighet till utbildning/fortbildning även för erfarna ortopedingenjörer?

Arbetsgivarna måste tro på utbildning som en investering för att det ska bli satsningar på utbildning i större utsträckning än tidigare. Det skulle ge utväxling i ökad patientnöjdhet, en effektivare verksamhet samt minskade kvalitetsbristkostnader.

Tyvärr verkar inte den kliniska utbildningsnivån ha någon större effekt på lönen. Branschen måste bli bättre på att premiera den kliniska kunskapsnivån och en del av lönen bör spegla just ortopedingenjörens utbildningsnivå.

Vad händer inom SOIF?

Summering 2018 och målsättning 2019

Efter ett årsskifte är det alltid ett bra läge att summera vad vi gjort bra och vad vi kan göra bättre för att möta målsättningen (ökat medlemsantal, bättre närvaro i Ortopediskt magasin, välbesökt årsmöte, studentaktivitet mm) för 2019. De stora förändringarna handlar om att vi ska bli bättre på att mäta och följa upp vår verksamhet, och jobba mer proaktivt gällande våra aktiviteter.

Årsmöte i samband med branschkonferens

Vi fortsätter samarbetet med OTB gällande årlig branschkonferens som är planerad den 5-6 november i Jönköping. Just nu håller vi på att jobba fram ett intressant program och planera upplägget, bl.a. kommer vårt årsmöte äga rum och att vi kommer uppmärksamma de stipendier som delas ut av föreningen. Vi kommer jobba för ett välbesökt årsmöte och har du idéer till programmet är du välkommen att kontakta mig så snart som möjligt, ordforande@soif.se

Idag är det i det närmaste rutin att man får tandimplantat när man förlorar tänder. Samma princip används även inom ortopedin genom att ett fäste förankras i ben vari det sedan fästs en yttre protes. Denna metod kan användas vid protesförsörjning vid amputationer på t.ex. armar, ben, tår och fingrar.

Osseointegration innebär att en protes förankras direkt i benet. Professor Per-Ingvar Brånemark upptäckte att titan inte stöttes bort av kroppen utan integrerades i stället av benvävnaden. En osseointegrerad protes består av en intern skruv fastsatt i benvävnad, i denna fästs en genomgång genom huden som i sin tur kopplas ihop med den externa protesen.

FÖRDELAR MED OSSEOINTEGRATION

För att förstå fördelarna med en osseointegrerad protes är det bra om man är har kunskap om hur en konventionell hylsprotes sitter fast och vad det kan medföra. Den konventionella protesen fästs vid stumpen med en rigid hylsa som har till uppgift att fördela och överföra krafter. Detta kan ge oönskade bieffekter såsom besvär med skav, tryck, svårighet att få på protesen, obehaglig lukt och svettningar.

En protes för en osseointegrerad patient fästs direkt i benförankringens förlängning vilket ger fördelar såsom att den amputerade kan röra sig och sitta mer obesvärat. Ytterligare fördelar är en ökad stabilitet och styrning samt förenklad påoch avtagning av protesen.

VEM KAN OSSEOINTEGRERAS?

När en konventionell hylsa inte fungerar kan osseointegration komma i fråga. För att säkerställa att rätt kandidater osseointegreras utreds personen noggrant av ett multidiciplinärt team. Deras benamputation ska ha skett av annan orsak än diabetes eller kärlsjukdom, vanliga anledningar är olycksfall, cancer eller sepsis. Det utreds även om patienten förväntas

På Youtube finns gott om filmer som visar lyckade osseointegrationer från olika delar av världen, som till exempel det här austratiensiska klippet: https://www.youtube.com/watch?v=Hmt165ZTPmI

Osseointegration

kunna hantera genomgången genom huden samt kunna genomföra rehabiliteringen. I dagsläget sker alla primära osseointegrationer på Sahlgrenska sjukhuset.

OPERATIVA INGREPP

Det krävs två operativa ingrepp och läkningstid innan protesförsörjning kan ske. Vid den första operationen sätts titanskruven in. Denna är enbart intern och går alltså inte genom huden. Fixturen får läka fast och ska då inte belastas, dock kan konventionell proteshylsa användas under tiden (så snart huden läkt).

Vid nästa operation sätts en distans fast i titanskruvens nedre del. Distansen går ut genom huden och på den skruvas så småningom protesen. För att titanskruven ska läka fast i skelettet måste skelettet belastas. Belastningsgraden sker succesivt och kontrollerat, bland annat genom en kort träningsprotes. Efter ungefär tre månader utprovas den riktiga protesen. Protesen får användas och belastas mer och mer under de följande månaderna, dock alltid med två kryckor. Succesivt efter osseointegrationen får patienten gå utan stöd eller med ett stöd. Om patienten har normal skelettkvalitet beräknas behandlingen pågå i ett år.

PROTESFÖRSÖRJNING

Protesen består av fästet till distansen, en rotationsadapter som kan lösa ut vid kraftig eller plötslig kraft för att minska risk att skada implantatet om patienten skulle belasta protesen olämpligt, t.ex vid fall, därefter samma komponenter som vid en traditionell protes.

Att protesförsörja en osseointegrerad person innebär en förenklad ortopedteknisk process jämfört med en traditionell proteshylsa som tillverkas efter avbildning av stumpen. Det är dock väldigt viktigt att inställningarna på en osseointegrerad patient blir korrekt för att inte fel belastning ska ligga på implantatet och med tid skadas.

KOMPLIKATONER

Förutom de risker för komplikationer som alltid finns vid operativa ingrepp kan osseointegrerade bl.a drabbas av att implantatet lossnar, benet där förankringen sitter frakturerar, distansen går av eller böjs. Vidare finns det alltid en risk för infektioner i och med hudgenomgången.

De två bilderna här i artikeln (förutom Youtubebilden), kommer från följande forskningsrapport: Osseointegrated trans-femoral amputation prostheses: Prospective results of general and condition-specific quality of life in 18 patients at 2-year follow-up. Kerstin Hagberg, Rickard Brånemark, Björn Gunterberg. Första gången publicerad januari, 2008, https://doi.org/10.1080/03093640701553922

Louise Klevbo Leg. ortopedingenjör Aktiv Ortopedteknik i Stockholm

En uppdatering från Ortopedingenjörsprogrammet

Nu är vårterminen igång och förstaårsstudenterna här på Hälsohögskolan har nu genomfört den första terminen i det nya program som sjösattes 2018. Vi får emellanåt frågor om vad som kan förväntas av framtida ortopedingenjörer och hur det nya programmet ser ut. Låt oss därför besvara några vanliga frågor: Hur gick det till när det nya programmet utformades?

Med tanke på att programmet inte genomgått några genomgripande förändringar sedan början av 90-talet var det viktigt att koppla programinnehållet till vad som krävs av en kliniskt verksam ortopedingenjör. Därför genomfördes en s.k. Delphistudie för att nå konsensus kring vad som utgör kärnkompetenser hos nyutexaminerade studenter1. Involverade i processen var ortopedtekniska verksamheter, företag, och professionsföreträdare, men även internationellt jämförbara utbildningsplaner inventerades.

VAD INNEHÅLLER PROGRAMMET?

Naturligtvis ligger stora delar av kärnan i vårt yrke kvar. Biomekanik, anatomi, patologi, evidens- och kvalitetsarbete är självklart ännu centrala områden. Digital teknik tillåts nu ta något större utrymme, liksom kliniskt arbete med fokus på fot/sko. För att uppnå detta har matematik och mekanik2 minskats något. Dessa kurser var delvis till för att underlätta för teknisk fördjupning. Behovet av detta har visat sig vara litet, och yrkesrepresentanter och avnämare har istället önskat en fördjupning av de kliniska kunskaperna.

ÄR DET ETT ENGELSKT PROGRAM NU?

OI-programmet är numera internationellt och erbjuds därför på engelska. Detta grundar sig i ett strategiskt beslut fattat av Jönköping Universitys ledning. I praktiken är skillnaden inte särskilt stor, då vi redan tidigare erbjudit samtliga kurser på engelska, om det funnits behov av det. Godkända språk t ex vid rapportskrivning är fortfarande de skandinaviska språken samt engelska. Vi har inte kunnat se något minskat söktryck pga detta. Däremot har flera studenter uttryckt att den internationella profilen har varit attraktiv.

KOMMER DET EXAMINERAS FLER ORTOPEDINGENJÖRER?

Det är ett högt prioriterat mål att höja studentgenomströmningen. Strukturen på programmet har därför justerats så att det första året har ett mer ortopedtekniskt fokus än tidigare. Exempelvis är biomekanik och patologi integrerat i kliniska moment, som därmed också kunnat tidigareläggas. Mer ortopedteknik tidigare, med andra ord. Förhoppningsvis kommer detta öka motivationen att slutföra utbildningen.

VAD BETYDER DETTA FÖR DEN ENSKILDE YRKESMANNEN?

Det har sagts många gånger att vi är en liten profession med stort ömsesidigt beroende mellan de olika aktörerna. Vi på högskolan tror oss inte om att ensamma kunna bära professionens framtid och fylla studenternas alla behov. Om vår profession ska kunna utvecklas och vara framgångsrik i sitt arbete krävs även fortsättningsvis stöd från yrkesmän och verksamheter i form av handledning, undervisning och engagemang i framtidsfrågor.

Vi på Hälsohögskolan hoppas på ett fortsatt gott samarbete med alla er andra i den ortopedtekniska sfären och att vårt arbete leder till en relevant och ändamålsenlig utbildning.

REFERENSER

1. Ramstrand, N., & Ramstrand, S. (2018). Competency standards for newly graduated prosthetist/orthotists in Sweden. Prosthetics and Orthotics International. 42:4:387-393. 2. https://ju.se/prog/oi

Stiftelsen skobranschens utvecklingsfond

Ledigförklarar

forskningsanslag för:

Vetenskaplig forskning angående skodons och annan skobeklädnads betydelse för folkhälsan, framförallt i fråga om påfrestningar på fötter, knän, ryggar och nackar.

Den avkastning av stiftelsens medel som är disponibel för ansökan uppgår för år 2019 till ca 750.000 kr G

Ansökningsblanketter kan rekvireras genom Anneli Johansson, Ortopedkliniken Akademiska sjukhuset, 751 85 Uppsala, 018-611 44 67, anneli.johansson@akademiska.se G

Ytterligare information genom professor Olle Nilsson, 018-611 44 69, olof.nilsson@akademiska.se

Rickard Bergman Universitetsdjunkt, Styrelseledamot SOIF

Nerrolyn Ramstrand Docent i Ortopedteknik, Ämnesansvarig

Simon Ramstrand Universitetsdjunkt, Fd programansvarig

David Rusaw

Lektor i Ortopedteknik, Programansvarig

Ansökan i 5 exemplar ska senast den 8 april 2019 vara stiftelsen tillhanda på adress:

Olle Nilsson, Inst för kirurgiska vetenskaper, Enheten för ortopedi, Akademiska sjukhuset, 751 85 UPPSALA

Årets avhandling 2018

Svensk ortopedisk förenings (SOF) styrelse delar ut ett stipendium till författaren av den bästa ortopediska avhandlingen under kalenderåret 2018. Stipendiebeloppet är maximalt 25.000 kr och avser deltagande i nationell eller internationell kongress.

Ansökan sker genom att du skickar in din avhandling i tryckt form till vetenskaplige sekreteraren i SOF (Nils Hailer, VO Ortopedi, Akademiska sjukhuset, 751 85 Uppsala).

En kort populärvetenskaplig sammanfattning samt en faktaruta (max 4000 tecken inkl. ev. en väsentlig tabell eller figur) för publikation i Ortopediskt Magasin nummer 2, 2019, skickas till SOF:s kansli: sofkansli@ortopedi.se. För att att din sammanfattning ska komma med i OM nr 2 måste materialet inkomma senast den 10 maj.

Följande kriterier gäller för beslut:

• Sökande ska vara medlem i SOF.

• Stipendiaten väljs ut bland de kandidater som under kalenderåret försvarat sin avhandling och ansökt om stipendiet genom att skriva en kort sammanfattning i Ortopediskt Magasin för publikation senast i nummer 2 (våren) året efter att avhandlingen försvarades.

• Stipendiet tilldelas en person som under året skrivit en avhandling som bedöms medföra störst nytta för ortopedin.

• Styrelsen för SOF utser stipendiaten.

• Beslut kan inte överklagas.

• Stipendiaten tillkännages i samband med föreningens årsmöte.

• Stipendiet är personligt.

SOF:s företagsmedlemmar

Anatomica AB

Stora Åvägen 25 436 34 ASKIM

Kontakt: Sverker Stomberg sverker.stomberg@ anatomica.se www.anatomica.se

Arthrex Sverige AB

Textilgatan 43 120 30 STOCKHOLM

Kontakt: Johan Karlsson johan.karlsson@arthrex.se www.arthrex.se

DePuy Synthes

Kolonnvägen 45 170 67 SOLNA

Tfn: 08-626 22 00 info.se@synthes.com www.depuysynthes.com

Episurf Europe AB Karlavägen 60 114 49 Stockholm

Kontakt: Veronica Scholz

Castro nfo@episurf.com www.episurf.com

Heraeus Medical AB

Mäster Samuelsgatan 60 111 21 STOCKHOLM

Kontakt: Eva Norrbin eva.norrbin@heraeus.com www.heraeus-medical.com

Link Sweden AB Box 180 184 22 AKERSBERGA

Kontakt: Gunilla Eriksson link.sweden@linksweden.se www.linksweden.se

ConMed/Linvatec Sweden AB

Datavägen 10 D 436 32 ASKIM

Kontakt: Maria Hillinge mariahillinge@ conmed.com www.conmed.com

ORTOTECH

Kokbjerg 9 DK-6000 KOLDING

Kontakt: Lone Schmidt ls@ortotech.com www.ortotech.com

RSA Biomedical AB Box 797 907 19 UMEÅ

Kontakt: Per Grundström per.grundstrom@ rsabiomedical.se www.rsabiomedical.se

Sectra AB Teknikringen 20 583 30 LINKÖPING

Kontakt: Ulrika Vach ulrika.vach@sectra.se www.sectra.com

Smith & Nephew AB Box 143 431 22 MÖLNDAL

Kontakt: Thomas Weine Tfn: 031-746 58 00 www.smith-nephew.com

Zimmer Biomet Sweden AB Industrivägen 4 433 61 SÄVEDALEN

Kontakt: Jenny Pettersson jenny.pettersson@ zimmerbiomet.com www.zimmerbiomet.com

Össur Nordic AB Box 770 191 27 Sollentuna

Kontakt: Magnus Lilja mlilja@ossur.com www.ossur.com

ORTOPEDISKT MAGASIN SÖKER ANNONSANSVARIG

Ortopediskt Magasin behöver från och med januari 2020 en ny annonsansvarig som mot arvode säljer annonser för tidningens räkning.

Viss erfarenhet av liknande uppgifter är en fördel, liksom kännedom om branschen. Du ska dessutom vara beredd att lägga tid och energi på att söka upp nya möjliga annörer och besöka utställarna i deras montrar under Ortopediveckan varje år.

Vid intresse, kontakta i första hand Erik Lind på: redaktionen@ortopedi.se eller Lena Göthe på kansliet: sofkansli@ortopedi.se

Nya

SOF-

medlemmar

Ola Olsson, Karlshamn

Christoffer Kjaer, Stockholm

Anna Lång, Gävle

Oskar Strand, Gävle

Irina Kolioumpakina Akrioti, Gävle

Daniel Hedström, Gävle

Arto Korpi, Västerås

Jakob Örtegren, Malmö

Pawel Petkow, Torsby

Andreas Bodin, Västervik

Erik Malchau, Göteborg

Henrik Lindell, Umeå

David Rusaw, Jönköping

Mahmoud Alsheikh Mohamad, Karlskrona

Hossein Sheikh Moghaddas, Västerås

Sebastian McCallum, Stockholm

Kristina Klingesten, Karlstad

Fredrik Törnmarck, Värnamo

Ana Pejic, Karlskrona

Mohanad Al-Bayati, Skövde

Bassam Weratheh, Södertälje

Carl Weitkämper, Lund

Ali Obaid Jaddoa, Kalmar

Alexander Lindberg, Stockholm

Mohammad Saleh Agha, Skövde

Per Anundsson, Umeå

Katja Östensson, Kalmar

Ortopediveckan i Norrköping

Vi närmar oss årets Ortopedivecka som denna gång arrangeras i Norrköping 26-30 augusti.

Vi bjuder på ett intressant vetenskapligt program med fokus på faktorer som spelar in för en högkvalitativ, patientsäker vård med nöjda patienter, därav vårt tema 4 Rätt. Ett annat fokus under mötet är betydelsen av ett gott teamarbete.

Vi ser därför det som självklart att övriga yrkeskategorier inom ortopedin är inbjudna med egna program. Veckan präglas också av en utbildningssatsning där merparten av kurser/workshops riktas mot ST-läkarna. På allt detta har vi kryddat med ett socialt program att minnas, allt koncentrerat till det gamla industrilandskapet centralt beläget i Norrköping.

Här följer ett urval av veckans programpunkter. Varmt välkommen att redan nu anmäla dig på Ortopediveckan.se

Alla arbetar vi för en högkvalitativ och patientsäker vård där patienterna blir nöjda med våra insatser. För att få vägledning i detta har vi myntat temat ”4 Rätt”. Moderatorer och föreläsare har till årets möte blivit ombedda att förhålla sig till detta tema.

Med 4 Rätt avses Rätt patient i Rätt tid på Rätt plats på Rätt sätt. Vi har länge fokuserat på hårdvaran och via våra register har vi god kunskap om protesöverlevnad och protesval. Vi har tvingats fokusera på tillgänglighet till mottagning och operation vilket gjort att många besök avskaffats, kontinuitet brister och vårdkedjor blir alltmer industriella.

På senare tid har vi, inte minst via registren, börjat inse vikten av att börja i rätt ände, välja rätt patient innan operation, försöka skapa ett kontrakt med patienter för bästa resultat, individanpassa behandlingar och lägga tid på information till patienten och förebygga komplikationer med optimering och timing. Vi har börjat skapa processer som på ett helt annat sätt utnyttjar alla professioner och skapar mer delaktighet. På så sätt får vi nöjdare patienter, med bättre funktion, mindre smärta och färre komplikationer.

Så är det förstås inte alltid. Infekterade proteser kommer att diskuteras under torsdagen i ett fallbaserat symposium, modererat av professor Johan Kärrholm. Vi har alltfler unga patienter, inte minst på knäsidan, som har helt andra krav. Det kommer Professor Nils Hailers symposium under onsdagen gå närmare in på. Dessutom har vi en framtid. Vad kan vi lära oss av våra gedigna register för att stå bättre rustade? Gå på symposiet på fredagen som Ola Rolfsson modererar så kommer en del frågor att besvaras.

Symposiet om missnöjda patienter inleder Ortopediveckan och modereras av professor Kjell-Gunnar Nilsson och kommer belysa det svåra med patienter som trots våra ansträngningar är missnöjda.

Tisdag 13.40-15.00

Ur måndagens program

Under måndagen går traditionsenligt den praktiska delen av ortopedexamen. Examinanderna får visa sina kliniska färdigheter på patienter remitterade till Ortopedkliniken.

Under eftermiddagen sätter också kursverksamheten igång. Merparten av kurserna riktar sig mot ST-läkare och nyblivna specialister men kan även vara av värde för den erfarne specialisten som vill uppdatera sina kunskaper.

För ST-läkarna erbjuds här ett gyllene tillfälle att nå måluppfyllelse i viktiga delmål i specialistutbildningen. Kurs och utvalda symposier under veckan renderar i intyg avseende helt eller del av delmål. Missa inte denna chans.

I utbudet riktat mot ST-läkare och nyblivna specialister erbjuds även i år den populära kursen ”Metabola och cirkulatoriska sjukdomar med ortopediska konsekvenser samt muskuloskeletala infektionstillstånd” som täcker hela delmål c11.

Dessutom erbjuds kursen/workshop ”Grundläggande teori och praktik – cementerad höftprotes” med Lars Weidenhielm och Per Wretenberg som kursledare. Här får deltagaren öva cementering av protes i plastmodell. Kursen ”Patientsäkerhet” med Pelle Gustafsson och Per Wiger återkommer även detta år. En nyhet i kursutbudet under Ortopediveckan är kursen/workshop i ”Basal gipsteknik” med Per Flink och Magnus Andersson från Malmö.

Under måndagen erbjuds också i Ortopedveckans regi en dissektionkurs på Swemacs laboratorium i Linköping med Lars Adolfsson som kursledare. Självklart ordnar vi här transporter för de som önskar.

Veteraner som kursledare;

Per Wretenberg och Lars Weidenhielm. Här firade de sin femtionde kurs som de har hållit ihop med tårta.

Ur tisdagens program

På tisdagen fortsätter andra halvlek av kursen ”Patientsäkerhet”. Satsningen mot ST-läkare fortsätter med Anders Kalén och Asle Hesla som leder kursen ”ABC i tumörortopedi” och Richard Marsell och Einar Hellquist som leder kursen/workshop ”Femurfrakturer hos barn”. Deltagarna får här öva på TEN-spikning och plattfixation.

Övriga kurser som erbjuds under tisdag förmiddag är ”Avancerad gipsteknik” med Per Flink och Magnus Andersson samt ”Lednära tibiafrakturer” med Olle Wolf och Anna Ekman.

Parallellt med kursverksamheten på förmiddagen samlas verksamhetschefer och professorer för att diskutera gemensamma riktlinjer och verksamhetsproblem. Samtidigt träffas studierektorerna under Ostrix regi. Dessa möten avslutas med att båda grupperna sammanstrålar för en gemensam diskussion.

I GRÄNSLANDET MELLAN ORTOPEDI OCH HANDKIRURGI

Ämnesområdet övre extremitet/ hand har i år fått ett ovanligt stort utrymme i det vetenskapliga programmet och det kommer att erbjudas programpunkter passande både STläkare, traumaortopeder, specialintresserade handortopeder och dubbelspecialister.

Ligamentskador i handleden är skador som ofta missas då patienter söker akut efter handledstrauma. De kirurgiska behandlingsmetoderna ligger i gränslandet mellan ortopedi och handkirurgi, men vi som ortopeder bör bli bättre på att upptäcka skadorna i tid för att kunna erbjuda adekvat behandling. Några av landets mest tongivande personer inom området bidrar med olika aspekter av utredning och behandling i tisdagens symposium Handledens ligamentskador. På tisdag eftermiddag presenteras det senaste inom forskning kring Ulnarisneuropahti och vi får ta del av tips och

Ur onsdagens program

tricks baserat på 40 års erfarenhet av handkirurgi i föreläsningen Den ”enkla” handkirurgin-varför blev det inte bra? På onsdagen sätter vi fokus på den distala radiusfrakturen. En auktoritet på ämnet, professor Daniel Rikli från Basel, ger en historisk översikt av behandling av radiusfrakturer och belyser de koncept som utvecklats under de senaste 30 åren kopplat till den debatt som pågår idag

angående framförallt behandling av äldre patienter. De senaste årens diskussion om vilka radiusfrakturer vi ska operera följs sedan upp av ett symposium om hur vi ska operera dem. Symposiet Radiusfraktur-är volar platta alltid rätt val? modererat av professor Lars Adolfsson bjuder på korta föredrag av namnkunniga talare följt av en intressant falldiskussion.

Tisdag 13.40-16.45, onsdag 10.15-12.10

LEO WHITESIDE - EN GIGANT INOM PROTESKIRURGIN

När SOF firar 75-årsjubileum i Norrköping, är det förstås extra roligt att Doktor Leo Whiteside deltar.

Dr Whiteside har under sin karriär utvecklat modern proteskirurgi och bland annat tagit fram 3 knäprotessystem, 2 uni dito, 3 höftprotessystem samt ett antal olika kirurgiska instrument. Mest känd för oss är han kanske ändå för sin kunskap om ligamentbalansering och vikten av att ge knäprotespatienter ett biomekaniskt välfungerande knä. Många av oss har nog hans bok om ligamentbalansering på hyllan, och läser dessutom i den.

Han har under sin bana föreläst och utbildat i hela världen, och han är också artikelgranskare och biträdande redaktör för Journal of Arthroplasty och American Journal of Knee Surgery.

Leo Whiteside verkar i Saint Louis, USA på Missouri Bone and Joint center som han själv grundat och som specialiserat sig på höft och knäproteskirurgi. För 10 år sedan grundade han ett projekt för att värna havssköldpaddor och deras habitat i Costa Rica. Dr Whiteside stöttar

fortfarande Reserva Playa Tortuga som organisationen heter, och som vuxit och nu omfattar biologisk forskning, utbildning, och kartläggning av den viktiga regionen i området.

Han kommer under sin keynote föreläsning berätta om proteskirurgin, dess utveckling och förändringar under en lång, innovativ och gedigen yrkeskarriär och vilka utmaningar han ser framför sig.

Dessutom medverkar Dr Whiteside i symposierna om missnöjda patienter och unga protespatienter. Vi är mycket stolta och glada över att kunna presentera denna gigant inom proteskirurgin på vårt möte i Norrköping.

Key note onsdag 8.00-8.40. Deltar i symposier tisdag 13.40-15.00 och onsdag 10.15-11.15

REBELLKIRURGEN ERIK ERICHSEN

ORTOPEDDIAGNOSTIKENS ABC

Du står inför en svår ortopedisk utmaning. Du vill känna dig trygg med att du ställt korrekt diagnos och planerat rätt behandling. Eller tvekar du över om de symtom patienten presenterat stämmer med de undersökningar du gjort? Symposiet ”Ortopeddiagnostikens ABC” belyser flera aspekter som kan bidra till ökad diagnostisk säkerhet.

En kliniskt verksam läkare träffar mellan 100 000–200 000 patienter under sitt yrkesliv. Moderna undersökningsmetoder må ha ökat i betydelse för att ställa rätt diagnos, men fortfarande vilar den kliniska diagnostiken på sina fundament – anamnes och klinisk undersökning. Röntgen är fortfarande en viktig del i den ortopediska diagnostiken. Individbaserade och strålningsbesparande metoder ökar. Vilka för- och nackdelar orsakar det?

En snabbt ökande modalitet inom rörelseorganens diagnostik är ultraljud. Bra bildkvalitet utan strålning och möjligheten till dynamisk undersökning lockar. Utbildningskurvan är dock lång så vilka professioner har störst nytta av denna metod? Vet du egentligen vad som händer med vävnadsprovet du tagit och vilken information du behöver förmedla på remissen? Med större förståelse för hanteringen av PAD kan du också få ut mer av utlåtandet. Vi guidar dig i detta och ger dig praktiska tips.

Låt Din kliniska kompetens få en uppgradering på detta intressanta symposium. Moderator: Markus Waldén. Föreläsare: Anna Tötterman, Maria Lindblom, Björn Cratz och Anna Nedkova.

Onsdag 10.20-11.40

Erik Erichsen blev känd för allmänheten genom TV-dokumentären ”Rebellkirurgen”, som visade hur han tillsammans med sin fru, arbetade i Etiopien under utsatta förhållanden med små medel, enkla lösningar och innovativa sätt att använda det som finns till hands.

Han har sedan föreläst och kontrasterat vår svenska vård mot den etiopiska, och kommer i en föreläsning, som modereras av chefsläkare Birgitta Lagerkvist, ta oss med på sin resa! Våra utmaningar och problem skiljer sig förstås markant, men kanske finns saker att lära? Onsdag 15.45-16.45

VEM STYR EGENTLIGEN SVENSK SJUKVÅRD?

Vi tror att de allra flesta i vården känner en frustration över att beslutsfattare är långt ifrån vår vardag, besluten styrs av helt andra agendor än de vi upplever att vi skulle behöva för att faktiskt få till en effektiv, modern, patientsäker och solidarisk vård på arbetsplatser där miljön främjar rekrytering och utbildning.

Vården står inför stora utmaningar med en åldrande befolkning, bättre teknik och mediciner, så vad ska vi göra i framtiden? Och hur? Och för vem? När får vården vara med och styra vården? Och om inte, varför?

En debatt känns angelägen och därför har vi bjudit in socialdepartementet, kommunala politiker, regiondirektör samt samhällsdebattörer till vad vi tror blir en viktig debatt vi gärna ser att alla deltar i. Onsdag 13.00-14.20

Ur torsdagens program

KAN 1+1 BLI 3?

Hur får patienter remitterade till ortopedmottagningen snabbast möjligt RÄTT bedömning?

Utnyttjar vi till fullo klinikernas samlade kompetens? Magnus Wennerlund från Västerås redogör för en arbetsmodell där specialiserade fysioterapeuter är första instans vid bedömning av patienter med axelproblem. Peter Försth, sektionschef för ryggsektionen, samt Anna Sprinchorn, t.f. sektionschef på fotsektionen, på Akademiska sjukhuset berättar tillsammans med sina fysioterapeuter om hur ett mycket nära samarbete mellan ortoped-fysioterapeut i ”Rygglinan” och ”Fotlinan” medfört att patienten snabbare fått en diagnos och korrekt behandling, antalet läkarbesök reducerats och remittenten snabbare fått remissvar. Dessutom finns en slant att spara. Kan dessa arbetssätt implementeras på fler ortopedkliniker? Symposiet torde vara av intresse för såväl läkare som fysioterapeuter, chefer på ortopedmottagningar och klinikchefer. Torsdag 8.00-9.30

EPIFYSEN

PÅ SOF

På torsdagseftermiddag har Epiphysen sin programpunkt med sin årliga battletradition.

Sociala aktiviteter

På torsdagskvällen är samtliga ST-läkare inbjudna till Epiphysens årsmöte med efterföljande middag, ett trevlig sammankomst då man har möjlighet att diskutera ST-frågor och möta ST-läkare från hela landet. Anmälan till årsmötet och middagen gör man samtidigt som man anmäler sig till Ortopediveckan. Vi ses där!

Torsdag eftermiddag och kväll

Från Segway-tur genom Norrköping till underhållning från de stora scenerna i Stockholm och London.

Det sociala programmet i Norrköping bjuder på de traditionella aktiviteter som Ortopediveckan ska innehålla men även på aktiviteter utöver det vanliga.

Så gott som alla aktiviteter under veckan kommer att hållas i det fantastiskt vackra området kring Louis De Geer konsert & kongress, som är uppkallat efter den svenske industrialismens fader Louis De Geer. Området ligger mitt i Norrköpings gamla industrilandskap med anor från

1600-talet. I dessa gamla industrilokaler har vapen, mässing, textil och papper tillverkats.

Get together hålls i Louis De Geers huvudbyggnad på tisdagskvällen. Alla skall känna sig välkomna att samlas och mingla på ett trivsamt sätt med både nya och gamla bekanta.

Banketten äger rum i Värmekyrkan som ligger ett stenkast ifrån kongresslokalerna. Det är en unik lokal med högt i tak där festblåsa möter betong. Under och efter middagen blir det underhållning utöver det vanliga, ingen kommer att kunna stå still i lokalen när det fantastiska band vi bokat rockar loss.

Alla som har en konstnärlig ådra uppmanas att ta med sina alster till Norrköping för att visas upp på ArtOrt. I år hoppas vi också att fler deltagare än vanligt ska peppa/utmana varandra att delta i ortopedmilen.

Knäppingen Spiseri & bryggeri som är vårt vattenhål under veckan kommer att brygga ortopedölet, de kommer även att hålla i ölprovningen på torsdagen för de som är kunskapstörstiga.

Mer information om det sociala programmet finns på hemsidan www. ortopediveckan.se

DELFÖRENINGARNA

Svensk Ryggkirurgisk Förening

Primär bedömning av frakturer i kotpelaren ingår i bakjoursarbetet på flertalet av landets små och mellanstora sjukhus, och ingår därför i SOFs bakjoursskola. För att skapa ökad trygghet och underlätta bedömningen av kotpelarskador är det viktigt med tydliga riktlinjer och praktiska skiljelinjer. Symposiet ”Kotpelarskador – från vaggan till graven” kommer att belysa detta och vidare diskutera den ökade förekomsten av osteoporosrelaterade frakturer och frakturer relaterade till ankyloserande sjukdomar såsom DISH och Mb Bechterew. Symposiet kommer att modereras av Hans Tropp, övriga föreläsare är Helena Brisby och Ralph Hasserius.

Onsdag 15.40-17.00

Svenska

Skulder- och Armbågs Sällskapet

I sista numret av Ortopediskt Magasin 2018 var temat axelkirurgi. Inom ett område med stark teknisk utveckling senaste decennierna kan man konstatera att metoderna för att operera axelinstabilitet både har något bristande evidens och att trenden nu är att man går tillbaka till dels öppen operation, dels Laterjet-metoden. Men hur långt har vi kommit vad gäller utredning och bedömning av operationsindikationerna? När anses en främre axelledsinstabilitet ge så mycket besvär att den bör bli aktuell för stabiliserande kirurgi? Finns det grupper där stabiliserande kirurgi bör övervägas redan i ett tidigt skede? Under symposiet ”Axelledsinstabilitet – vilka ska opereras?” i regi av SSAS kommer dessa frågeställningar diskuteras av bland andra Henrik Ahlborg, Shwan Khoschnau och Hans Rahme.Antalet operationer för rotatorcuffruptur har ökat markant senaste åren. Däremot har det varit svårt att vetenskapligt visa effekten av dessa både vad gäller smärta och funktion. Modern kartläggning av cuffskadornas anatomi och belägenhet kanske kan klargöra vilka patienter som har bäst nytta av operation. Symposiet ”Artroskopisk cuffsutur” kommer bjuda på intressanta diksussioner i detta ämne under ledning av Hanna Björnsson Hallgren. Övriga deltagare är Lars Adolfsson, Mats Ranebo och Kirsten Lundgreen. Onsdag 13.00-15.00

Svenska Ortopedtraumatologiska Sällskapet

Operationskrävande armbågsskador och frakturer är inte särskilt vanliga. En armbågsskada som med en betydande stelhet är ett stort handikapp även för medelaktiva patienter. Detsamma gäller gravt instabila armbågar. I gruppen armbågsfrakturer döljer sig dock en del svårdiagnosticerade tillstånd och inte sällan frakturmönster som ställer stora krav på preoperativ planering och rätt kirurgisk kompetens (”4Rätt – Ortopediveckans tema 2019”). Det gäller både distala humerus och proximala underarmen, inte minst den enigmatiska caput radiifrakturen. Ta bort? Ersätta? Osteosyntera? Under SOTS-symposiet görs nedslag i särskilt brännande och aktuella områden där en frakturintresserad ortoped, oavsett nivå, kan få med sig matnyttigheter både gällande operativ och icke-operativ behandling. Allt som vanligt uppblandat med intressanta falldiskussioner med ambitionen att göra det svåra lätt(are). Deltar gör bland andra Johan Scheer, Anna Ekman och Olle Wolf. Torsdag 13.00-16.30

Svensk Barnortopedisk Förening

SBOF har glädjen att erbjuda ett brett program under mötet. Kursen ”Femurfraktur hos barn”, under ledning av Richard Marsell, kommer att omfatta både terori och praktik i handläggning av dessa frakturer som har speciella utmaningar. Vidare kommer Richard föreläsa under rubriken ”Att göra sneda barn raka”, torsdagen 29/9. Bengt Hellgren kommer under fredagen moderera det intressanta symposiet ”Kluriga barnfrakturer och SCFE”. Deltagarna kommer få en god uppdatering avseende några barnfrakturer/akuta barnortopediska tillstånd som man som ortoped, med huvudsakligen vuxentrauma i sitt arbete, inte ser så ofta i din vardag. Bland annat kommer höftfyseolys, suprakondylära humerusfrakturer, femurfraktur hos tonåringar och underarmsfrakturer hos barn 9-16 år diskuteras. Föreläsare på symposiet är Torsten Backtemann, Richard Marsell, Jacques Riad och Carl-Johan Tiderius.

Torsdag 15.45-16.45, Fredag 10.15-11.45

Svensk Artroskopisk Förening

Meniskens betydelse för att skydda knäts ledyta och förhindra tidig artros är numer oomtvistad och en anledning till meniskbevarande kirurgi hos yngre patienter blivit allt vanligare. Men vad gör man om patienten fått en omfattande meniskskada där sutur inte är genomförbar eller där suturererad menisk havererat och patienten har unikompartmentell smärta? Menisksubstitution är idag ett alternativ, antingen med scaffold eller autologt menisktransplantat. Mats Brittberg och Karl Eriksson kommer på SAF-symposiet ”Menisksubstition”, torsdagen 29/9 förmedla indikationer, prognos och risker med denna typ av kirurgi samt ge en bild av framtida utveckling.

Torsdag 8.00-9.20

Fotkirurgi under Ortopediveckan

Svenska Fotkirurgiska Sällskapet kommer under årets Ortopedivecka att arrangera 3 som vi hoppas intressanta symposier. Plattfot, Fotledsartros och Metatarsalfrakturer kommer att belysas utifrån årets övergripande tema. Vad är idag rätt behandling? Icke kirurgisk/kirurgisk? När kan ev operation vara aktuell och vilka patienter skall i så fall opereras och var? Frågorna vi alltid måste ställa oss och där svaren förändras över tid i och med den utveckling som hela tiden sker av medicinsk kunskap, behandlingsmöjligheter, operationstekniker och instrumentarier.

Plattfot torsdag 13.50-15.10

Metatarsalfrakturer torsdag 8.00-9.20

Fotledsartros tisdag 13.40-15.00

Höft och knäföreningen

Som vanligt under ortopediveckan arrangerar delföreningarna egna program, för höft och knä föreningen ligger dessa på onsdag och torsdag eftermiddag.

Innehållet kommer spänna över proteskirurgins utveckling och utmaningar i Sverige med fokus på fast-track vid elektiv kirurgi samt val av implantat hos patienter med felställd lårbenshalsfraktur.

Onsdag 11.20-12.00 Torsdag 15.45-16.45

Epiphysens nya styrelse

Hej! Det är vi som är Epiphysens nya styrelse, några är nya och några är inte lika nya.

Lite av det vi gör: Vi bevakar ST-läkarnas intressen inom ortopedi Vi håller i en programpunkt under Ortopediveckan

• Håller i kurskalendern

Hör gärna av er till oss vid frågor eller förslag.

Fortsättningskurs Frakturkirurgi för Ortopeder

24–27 september, 2019 Stockholm

Registering under våren: www.aotrauma.org (Courses/Sweden)

För frågor: stina.winqvist@aocourses.org AOTrauma

Sara Brandt Knutsson
3:e året på ST Göteborg
Malin Zimmerman, 3:e året på ST Helsingborg
Lovisa André 2,5 år avklarade på ST Eksjö
Carl Mellner 3:e året på ST Eskilstuna
Yosef Tyson Sista året på ST Uppsala
Johan Wenman Sista året på ST Umeå
Martin Kempka 3:e året på ST Karlstad

ST inom försvarsmakten

Epiphysen har intervjuat

ST-läkaren Natalie Lundin, som gör sin ST inom ortopedi med koppling till försvarsmakten.

Vad innebär militär-ST? Vilka andra specialiteter utom ortopedi finns för militär-ST?

Det innebär att jag förutom min ST-tjänst vid Karolinska också är deltidsanställd i Försvarsmakten och jobbar ca 6-8 veckor per år för Försvaret. Det kan handla om utbildningar, övningar och vi åker även till Sydafrika i Försvarets regi vid tre tillfällen under ST för att lära oss mer om traumaomhändertagande. Förutom Ortopedi finns även kirurgi, anestesi samt akutsjukvård inom ramen för militär-ST på Karolinska Universitetssjukhuset.

Varför valde du Militär-ST?

Det är en unik möjlighet att bli ortoped men med inriktning mot trauma. Jag får jobba i nära samarbete med andra specialiteter och möjlighet att bli del av ett traumateam. Det är också spännande samt utvecklande att jobba som läkare i andra sammanhang än bara på ett akutsjukhus.

Hur är utbildningen upplagd?

Det är en vanlig ST-ortopedi men förutom den vanliga tjänstgöringen ingår momenten med Försvarsmakten som ju delvis gör att den sammanlagda tiden till specialist kan bli något längre än 5 år. Vi läser många kurser via Försvaret inom traumakirurgi ex DSTC, Asset, samt även ledarskapsutbildningar.

Hur långt har du kommit på din ST? Tre år.

Har du gjort lumpen/militärtjänst?

Ja. Jag gjorde värnplikt 15 månader som kryptotekniker vid ubåtsflottiljen Karlskrona.

Berätta om en dag på jobbet på Karolinska Universitetssjukhuset? Arbetsuppgifterna varierar såsom på de flesta kliniker; antingen kan jag befinna mig på akuten, mottagningen, konsult på huset eller om jag har tur på operation. Ofta kan jag behöva gå mellan flera instanser under en och samma dag.

Berätta om en dag när du är placerad på försvarsmakten?

Vad är det för övningar ni gör där?

Det kan vara en dag där vi över omhändertagande av stridsskadad. Vi befinner oss utomhus och börjar med en lätt jogg för att värma upp inför övningarna som ofta är ganska fysiskt tunga. Vi övar exempelvis hur man går tillväga när man kommer till en skadeplats med flera skadade och där det dessutom kan finnas en hotbild mot platsen.

Vilka randningar ingår i utbildningen?

Jag behöver gå en något längre anestesirandning samt ska förmodligen också randa mig på kirurgen.

Vad vill du jobba med i framtiden?

Som ortoped i ett traumateam! Kanske också vara med och planera/öva inför mass-skadesituationer.

POF

POF (Privata Ortopeders Förening) grundades 1991 och är en delförening i SOF. Föreningen bildades då det fanns ett behov av social och professionell gemenskap för privatpraktiserande ortopeder.

Föreningen kan tilltala alla ortopeder som har eget bolag eller står i begrepp att starta det. Det är en förening som passar alla oavsett om man arbetar som konsultläkare i privat eller offentlig regi, har en egen etablering på ”taxan” eller arbetar som ”vårdval-specialist”.

Vi har en årlig fortbildning med tonvikt på frågor som berör: Ekonomi, relation till SKL (Sveriges Kommuner och Landsting), tips om journalprogram, instrument, operationstekniker, starta eget, försäljning av mottagningar, pensionsfrågor etc. Dessa och liknande frågor brukar avhandlas på en 4-6-dagarskonferens med studiebesök till olika vårdinrättningar på någon intressant ort, företrädesvis i Europa.

Fortbildningsresan är mycket uppskattad och följer SKV:s (Skatteverkets) regler. 2019 planeras en resa till Sydafrika. Årsavgift är för närvarande 500 kronor.

Styrelsen består av Ordf. Thomas Anderson,(KaernanOrtopeden i Helsingborg), Sekr. Håkan Bonevik, (Lotusläkarna i Kungsbacka), Kassör Per Maxander, (Läkarhuset Ellenbogen i Malmö), Styrelseledamot Sven Gredevik (Varbergs sjh samt konsultuppdrag).

Carl Mellner

Ledamot Epiphysen ST och doktorand Mälarsjukhuset, Eskilstuna

För information hur man blir medlem gå in på vår hemsida: www.pof.nu

Sven Gredevik

Natalie Lundin, ST-läkare.

REFERENSER

På Ortopedisktmagasin.se hittar du referenserna till artiklen.

Det pågår en diskussion i landet om den s.k. ”blodsmittemärkningen” i digitala patientjournaler, dvs om blodsmittor (främst hiv, hepatit B och C) bör anges i uppmärksamhetsinformationen eller inte. Flera landsting/regioner (t.ex. Blekinge och Sörmland) har tagit bort denna märkning och andra planerar detta.

Blodsmittemärkning

Foto: Mostphotos.

Skälet är att vårdpersonal alltid ska behandla allt blod som smittsamt och att en märkning riskerar att inge en falsk trygghet, t.ex. i de fall då patienten inte är testad men ändå kan ha en symtomfri infektion. Företrädare för de kirurgiska specialiteterna har dock uttryckt oro inför en sådan förändring.

I Socialstyrelsens (SoS) uppmärksamhetsinformationsspecifikation anges vilka informationsmängder som kan ingå i uppmärksamhetsinformationen och hur dessa ska dokumenteras. Socialstyrelsen har inför nästa version av denna specifikation gett Svenska Läkarsällskapet (SLS) i uppdrag att utreda det vetenskapliga och juridiska underlaget för uppmärksamhetsinformation gällande varning för smitta och hotbild mot vårdpersonal/medpatienter.

De senaste åren har det skett stora medicinska framsteg i behandlingen av blodsmittorna. Hepatit C kan botas med 8-12 veckors tablettbehandling, välbehandlad hiv är en kronisk sjukdom med mycket låg smittsamhet och allt fler är vaccinerade mot hepatit B. Det är angeläget att denna utveckling, som påverkar både risken att smittas vid ett eventuellt tillbud och konsekvenserna om det skulle hända, beaktas i diskussionen om blodsmittemärkningen.

I samband med SLS utredning har jag därför skrivit en sammanfattning av aktuellt läge för hiv, hepatit B och hepatit C i Sverige 2019.

Tillbud, smittrisker, postexpositionsprofylax (PEP)

Blodsmitta kan överföras genom blod till blodkontakt såsom stick- eller skärskador och kan även överföras genom att blod/blodtillblandade kroppsvätskor kommer i kontakt med en oskyddad slemhinna (t.ex. ögon eller mun) eller skadad hud. Om denna blod-blod eller blod-slemhinnekontakt inträffar kallas det för ”tillbud”, och ska hanteras på ett särskilt sätt. Arbetsgivaren ansvarar för att det finns lokala rutiner för att förebygga och hantera tillbud inom sjukvården.

Blodsmitta överförs däremot inte vid sociala kontakter eller i vanligt omvårdnadsarbete. Det finns t.ex. ingen anledning att ha handskar på sig vid vårdarbete som inte innebär någon kontakt med blod/kroppsvätskor, vare sig patienten har en känd blodsmitta eller inte.

Rutinerna vid tillbud kan variera något över landet, men huvudprinciperna är att den som varit med om tillbudet först ska tvätta/skölja bort blodet med vatten och desinfektera huden, sedan söka vård för en snar medicinsk bedömning, med nollprov, ställningstagande till PEP och uppföljande provtagning. Information om känd blodsmitta hos den patient som blodet kom ifrån ska eftersökas (t.ex. genom att fråga patienten och läsa i journalen), och aktuella prover för hiv, hepatit B och C ska tas på denna patient (13, 14). Det finns ett betydande mörkertal, d.v.s. personer med hiv eller hepatit som inte har några symtom och inte vet om att de har en blodsmitta men ändå är smittsamma.

Risken för överföring av blodsmitta vid tillbud anges grovt vara: 0.2-0.5% vid hiv, 2-20% vid hepatit B och 5% vid hepatit C (13). Denna risk påverkas bl.a. av virusnivåerna i blod, och tillbud med blod från patienter med pågående antiviral behandling medför en ännu lägre smittrisk än den nyss nämnda.

Ingen vårdpersonal har någonsin rapporterats smittad av hiv i Sverige via yrket. Under 2000-talet har två fall av vårdyrkesrelaterad smitta av akut hepatit B rapporterats i Sverige, den senaste var 2014. För hepatit C har 18 fall bland vårdpersonal rapporterats efter tillbud i Sverige under åren 2000-2018. Dessa uppgifter kommer från Folkhälsomyndigheten, som tillsammans med länens/regionernas smittskyddsläkare övervakar alla nya fall av hiv, hepatit B och hepatit C i Sverige (bl.a. genom den smittskyddsanmälan i SmiNet som patientens behandlande läkare har skyldighet att göra).

Se även: http://lakartidningen.se/Aktuellt/Nyheter/2018/12/SLS-ska-utreda-hur-journalen-kanvarna-for-blodsmitta-och-vald/ och http://www.socialstyrelsen.se/publikationer2017/2017-6-16

HIV HEPATIT B

ISverige finns idag 7750 personer med känd hiv. Av dessa har 97.6% pågående hiv-behandling. Av dem som står på behandling har 95.2% s.k. välbehandlad hiv, vilket betyder att virusmängden i deras blod ligger på <50 kopior/ml (de flesta har t.o.m. ej detekterbar virusnivå, <20 kopior/ml). Dessa uppgifter kommer från InfCareHIV, ett kvalitetsregister som omfattar samtliga i Sverige kända hiv-patienter, och är uttagna i december 2018 (personlig kommunikation 181227 med registerhållare Veronica Svedhem). Således hade då totalt 93% av alla kända hiv-patienter i Sverige en välbehandlad hiv.

Varje år tillkommer ca 4-500 nya fall av hiv i Sverige enligt Folkhälsomyndigheten. De flesta är heterosexuellt smittade före ankomst till Sverige i länder där hiv är vanligt. Män som har sex med män utgör majoriteten av dem som smittats i Sverige. Personer som injicerar utgör ca 7 % av patienterna med hiv (1). Mörkertalet, d.v.s. antalet personer som har hiv men ännu inte är diagnosticerade, har 2015 beräknats till 10.8% i Sverige vilket motsvarar drygt 800 personer2. Det är viktigt att vården är generös med att erbjuda hiv-testning, så att hiv diagnosticeras så tidigt som möjligt och personen kan få behandling.

Dagens effektiva hiv-behandling (kallas även antiretroviral behandling, ART) har inneburit att hivinfektion har gått från att vara en dödlig sjukdom till en kronisk infektion som kräver daglig medicinering. Den förväntade livslängden är samma som hos personer som inte har hiv förutsatt att den infekterade diagnosticeras med intakt immunförsvar. Numera sätts hiv-behandling in omgående efter diagnos, eftersom detta har visats vara fördelaktigt. Man förhindrar då att immunförsvaret försvagas, istället förbättras immunförsvaret och personen behöver aldrig riskera att utveckla AIDS. Tidigare väntade man in en försämring av immunförsvaret innan behandling startades. Hiv-behandling botar inte infektionen, utan även vid välbehandlad hiv finns virus kvar i kroppen i reservoarer av latent infekterade celler1,3

Personer med välbehandlad hiv har dock en mycket låg smittsamhet, och risken att de ska smitta någon annan via sex utan kondom är i praktiken noll (4). Sexuell smitta är undersökt i stora studier och begreppet ”treatment as prevention” har myntats. Personer med hiv kan bli föräldrar, och risken för en mor att smitta sitt barn under graviditet eller förlossning är <0.5%.

Vad gäller tillbud med risk för blodsmitta med hiv, som t. ex. stick och skärskador, är smittrisken vid välbehandlad hivinfektion inte lika väl studerad som vid sex, så ett sådant tillbud ska ändå alltid omgående bedömas av infektionsläkare för ställningstagande till skyddande behandling i efterskott, s.k. postexpositionsprofylax (PEP). Enligt aktuella svenska rekommendationer från Referensgruppen för antiviral terapi (RAV) rekommenderas dock inte PEP om patienten har välbehandlad hiv: ”Smittrisken vid sticktillbud eller kondomhaveri (oavsett sexualteknik) är mycket låg om indexpatienten står på ART och har stabilt icke-detekterbart hiv RNA. PEP rekommenderas inte om det kan dokumenteras att indexfallet har välinställd ART.” (3) PEP mot hiv består av hiv-läkemedel som ges under 4 veckors tid. Om PEP är indicerat ska den ges snarast efter tillbudet, helst inom 2 timmar, men senast inom 36 timmar3

Det saknas säkra uppgifter på hur många som lever med hepatit B i Sverige idag. En grov skattning baserat på antalet smittskyddsanmälda är att det rör sig om c:a 49 000 personer, men då är inte hänsyn tagen till dem som avlidit eller flyttat utomlands efter diagnos. Varje år rapporteras ca 1-2000 nya fall av hepatit B i Sverige enligt Folkhälsomyndigheten. De flesta av dessa personer är födda i länder där hepatit B är vanligt förekommande, och mor-barn smitta dominerar globalt. De få som smittats i Sverige smittas framförallt via sex eller delade injektionsnålar och verktyg (5). Akut hepatit B hos vuxna läker ut i >95% av fallen. Kronisk hepatit B kan inte botas, men risken för långtidskomplikationer (skrumplever, leversvikt eller levercancer) kan minskas med behandling. Alla behöver inte behandling, men allt fler erbjuds detta och det är angeläget att personer med kronisk hepatit B går på regelbundna kontroller hos infektionsläkare.

Hepatit B, t.o.m. en genomgången sådan, kan reaktiveras i samband med kraftig immunsuppression, t.ex. i samband med transplantation eller vid behandling med biologiska läkemedel, cytostatika eller höga kortisondoser. Det är därför viktigt att läkare som förskriver dessa läkemedel ser till att testa patienter för hepatit B inför planerad immunsuppression, så att de vid behov kan skyddas genom hepatit B behandling6

Smittsamheten varierar beroende på virusmängd av hepatit B - en del personer, framförallt yngre (<20-30 år), har mycket höga virusnivåer i blod och är då mer smittsamma, medan de flesta har lägre virusnivåer (<2000 IU/ ml), och då mycket lägre smittsamhet. Personer med pågående hepatit B behandling har ofta ej detekterbar nivå av hepatit B virus i blodet.

Det finns ett effektivt vaccin mot hepatit B. Detta vaccin ingår inte i det allmänna vaccinationsprogrammet för barn i Sverige, men alla landsting/regioner i Sverige erbjuder sedan något/några år tillbaka ändå vaccinet till alla nyfödda barn.

Många som arbetar inom vården är hepatit B vaccinerade. I Folkhälsomyndighetens rekommendation för hepatit B vaccination står det att ”Vissa yrken kan innebära en ökad risk att utsättas för hepatit B-smitta i arbetet. Det gäller exempelvis personal inom hälsooch sjukvården och tandvården, personal på laboratorier som ofta kommer i kontakt med blod som kan vara smittat med hepatit B...”7 I enlighet med Arbetsmiljöverkets föreskrifter (AFS 2018:4) om smittrisker är det arbetsgivarens ansvar att bedöma smittriskerna på arbetsplatsen och att vid behov erbjuda och bekosta nödvändiga medicinska förebyggande åtgärder, t.ex. vaccination.

Smittskyddsläkaren i Stockholm rekommenderar att all vårdpersonal ska vara vaccinerad mot hepatit B8

Om personal som inte redan har skydd/är immun mot hepatit B är med om ett tillbud med misstänkt hepatit B infekterat blod finns det möjlighet att skydda mot hepatit B i efterskott genom PEP med vaccin och ibland även immunoglobulin. Detta bör ges så snart som möjligt, inom 48 timmar, helst inom 24 timmar7

E nligt Folkhälsomyndighetens skattning 2015 fanns då 35-45 000 personer med hepatit C i Sverige9. För både hepatit B och C gäller att det kan finnas ett betydande mörkertal, eftersom de är så kallade ”tysta infektioner” som en person kan ha i många år utan symtom. Beräkningar saknas för Sverige, men i Europa skattas andelen vara 20-91%10

Varje år rapporteras 1300-2000 nya fall av hepatit C i Sverige. De flesta bedöms vara smittade via delade injektionsnålar och verktyg. En del är smittade som patienter i vården, genom blod/blodprodukter i Sverige före 1992 eller utomlands i länder där inte allt blod testas för hepatit C eller där hygienrutiner brister allvarligt. Smittrisken sexuellt är generellt låg för hepatit C. Smitta från mor till barn i samband med förlossningen förekommer hos <5%. En person som har läkt ut hepatit C blir inte immun, utan kan få hepatit C igen ifall hen smittas av viruset på nytt. Den som smittas av hepatit C utvecklar oftast en kronisk infektion, detta sker i ca 75% av fallen11

Det finns inget vaccin eller PEP mot hepatit C, men en behandling som kan bota infektionen! År 2014 kom en ny effektiv behandling mot hepatit C, och infektionen kan nu botas hos >95% med 8-12 veckors tablettbehandling (12). Den tidigare interferonbaserade behandlingen behövde ges under längre tid, hade besvärliga biverkningar och inte lika god effekt.

Priset för en hepatit C behandling har minskat dramatiskt sedan 2014, och är nu under 100 000 kr. Behandlingen erbjuds sedan årsskiftet 2017/18 till alla personer med känd hepatit C i Sverige, som förväntas kunna vara följsamma med behandlingen. Även personer som injicerar droger kan nu få hepatit C behandling.

I Stockholm fick c:a 1300 personer hepatit C behandling under år 2018, varav endast enstaka inte läkte ut. Antalet personer med hepatit C förväntas därför minska under kommande år.

SAMMANFATTNING

• Hiv är idag en kronisk sjukdom, majoriteten (93%) har välbehandlad hiv med mycket låg smittsamhet

• Hepatit B – vårdpersonal bör vara skyddade genom vaccination

• Hepatit C – kan botas hos >95% med 8-12 veckors behandling

• Allt blod ska behandlas som potentiellt smittsamt, och tillbud ska alltid bedömas medicinskt”

Jenny Stenkvist MD, PhD

Bitr smittskyddsläkare Smittskydd Stockholm

Den kirurgiska utbildningssituationen i Sverige:

Vem ska operera oss?

Stockholms läns landsting (SLL) har köpt stora volymer av rutinkirurgin av privata aktörer. Det gäller främst den kirurgi som lätt kan polikliniseras: gyn, ÖNH, allmänkirurgi och ortopedi.

KIRURGUTBILDNINGEN

Men man har glömt bort utbildningen av yngre läkare. Nu görs rutinoperationer geschwint av rutinerade specialister medan de yngre läkarna inte har tillräckligt med patientmaterial för att lära sig de enklare ingreppen och svårt att nå utbildningsmålen på grund av brister i verksamheten på vissa universitetssjukhus. Vi uppmärksammade problemet i artiklar i SvD (googla “fritt fall för utbildningen i kirurgi”). Det visade sig tyvärr att SLL fortfarande inte hade insett problemet, utan svarade att vi inte behövde oroa oss, ty man skulle utbilda fler läkare, vilket inte är huvudproblemet, och även att det finns tillräckligt med patienter, vilket vi nog också är väl medvetna om.

ETHOS, PATHOS OCH YRKESSTOLTHET

Fortfarande har det inte hänt något i SLL. Varför? Förväntas kirurger vara autodidakter genom trial and terror? Eller är man så fokuserad på pinnar och pengar att andra kvalitetsaspekter – som att göra rätt – kommer i skymundan? En troligare förklaring är att många naivt nog tror att utbildning är gratis och drivs av professionernas ethos och pathos. Så var det till viss del tidigare när det fanns mer luft i systemet. Även om det väl aldrig funnits en medicinsk guldålder, de kirurgiska resultaten är i dag bättre än någonsin, så fanns det en lojalitet, kärlek till specialiten och yrkesstolthet hos många ledande läkare anno dazumal. Det saknas tyvärr ofta idag. Commit or quit! var mottot för den holländske förre direktören för Nya Karolinska: civil olydnad gav förutsägbara konsekvenser.

MÄSTER-GESÄLLRELATION

Det kokar ner till mjuka immateriella faktorer som kultur och förhållningssätt. En sociolog studerade under 18 månader seder och kultur vid en akademisk kirurgklinik i Seattle, med samma metoder som man studerar urinnevånare i Amazonas (googla forgive and remember). Kirurgin är som många andra komplexa värv hierarkisk, men i det amerikanska systemet fanns det en mäster-gesällrelation som ofta var bra för utbildning och utveckling. Dagens korta fragmenterade placeringar har till stor del eliminerat den egennytta för en överläkare som det innebar att lära upp en vikarie.

SPECIALISTEXAMEN SOM KRAV

En annan faktor är EU-lagarna. Alla med en EU-examen kan börja operera i Sverige vad de kommer över. Här har inte våra tillsynsmyndigheter hängt med i svängarna. IVO är tandlöst. Det är därför ofrånkomligt att även Sverige inför en obligatorisk

specialistexamen (som nu är frivillig och sker i specialistföreningarnas regi). Endast mellan hälften och en tredjedel tar examen. Det är en patientsäkerhetsfråga – konsumentskydd, helt enkelt. Tyvärr är ”examen” ett fult ord för myndigheter och speciellt så för läkarförbundet.

VERKSAMHETSCHEFSBESLUT

Idag är det som bekant verksamhetschefen som bestämmer när någon ska anses mogen för att bli specialist och när vederbörande har samlat en tillräckligt stor hög papper som visar att man varit fysiskt närvarande vid olika aktiviteter. Här borde Läkaresällskapet agera med större kraft och likt prinsen i sagan ta kronan ur rännstenen och sätta den på sin hjässa. Återigen, det är en patientsäkerhetsfråga. Som alla lärare vet styr examinationer inlärandet mycket mer kraftfullt än studieplaner, hur genomarbetade de än månde vara. Det är också en lysande ekonomisk och humanitär affär, ty inget inom medicinen är dyrare än komplikationer. If you think that education is expensive, try ignorance!

VÄRDERAD EXAMINA

Alla kirurgiska föreningar har bra utbildningsplaner, men det är de 20 regionerna som håller i penningpungen, så det är tveksamt vilken effekt utbildningsplanerna verkligen får. Här måste verksamhetscheferna gaska upp sig; de är de enda som har ett övergripande juridiskt ansvar enligt hälso- och sjukvårdslagen. Även om det är en förskräckande hastig omsättning på verksamhetschefer, så kan man i specialistföreningarna komma överens om att gynna dem som avlägger specialistexamen, ekonomiskt och tjänstemässigt: guld och ovansklig ära.

UTLÄNDSKA FÖREBILDER

En anledning är att de svenska professionella föreningarna i Sverige saknar fokus, enighet och kraft. Jämför med Royal Colleges i UK och de stora kirurgföreningarna i USA. De brittiska kirurgiska specialiteterna håller i utbildningsresurser och examination, och det amerikanska läkeriet lär ha flest lobbyister i Washington. I den anglosaxiska traditionen finns det också starka ekonomiska och kulturella incitament. I Sverige är vi splittrade. Att föreslå att man ska slå samman förbundet och sällskapet vore väl som att svära i kyrkan; men det behövs om vi vill ändra ST-utbildningen. De kirurgiska specialiteterna har så mycket gemensamt att vinna på att skapa en tätare federation, kanske enklast under Läkaresällskapets egid. Ju snävare fokus, desto större chans till framgång.

De värderade kollegorna från kirurgiska kliniken i Malmö skulle knappast känna igen sig i en modern operationssal, men kirurgi är fortfarande både hantverk och vetenskap som man inte kan lära sig själv, utan det krävs både utbildning och träning och konstruktiv kritik. Foto från Sydsvenska Medicinhistoriska Sällskapet.

SPUR-INSPEKTIONER

SLL struntar ofta högaktningsfullt i SPUR-inspektionerna. Nya Karolinska sjukhuset svarar inte ens på skrivelser från specialistföreningarna. Akademin har tyvärr också visat ett måttfullt intresse för den praktiska kirurgiska utbildningen. Det är oklokt om man vill att det ska kunna bedrivas kirurgisk utbildning på universitetssjukhusen. (Prefixet ”universitet” är omhuldat av sjukhusens PR-avdelningar). Nya Karolinska skulle förmodligen förlora sina federala undervisningsbidrag i USA. Problemen är mest uttalade i SLL men har börjat metastasera även till andra storstäder.

GEMENSAM SAK

Förfallet har på sina håll gått så långt att det blir tungt och tufft att ändra riktning på den tunga kirurgiska skutan. Det kan bara specialistföreningarna göra; inte Excel-Pelle eller Siffer-Nisse. Det finns många eldsjälar, men för att få till stånd någon reell förändring krävs samordnade aktioner. Kirurger av alla specialiteter, förenen eder!

Kvinnliga ortopeders stiftelse (BGS)

utlyser rese/forskningsbidrag på 20 000 kr.

Bidraget kan sökas för yrkesmässig utveckling i form av resa för besök på annan klinik, deltagande i kurs/konferens eller forskningsarbete inom den ortopediska specialiteten för att främja kvinnliga ortopeders fortbildning.

Ansökan skickas till BGS sekreterare, Ebba Fridh per e-post: ebba.fridh@vgregion.se

Ansökan ska innehålla uppgifter om sökanden i form av CV (1 sida) och vad bidraget avses att användas till (max två sidor).

Sökanden måste vara medlem i Svensk Ortopedisk Förening.

Sista ansökningsdag är 14 april 2019. Redovisning av erhållna bidrag görs genom rese/forskningsrapport för publicering i Ortopediskt Magasin.

Stiftelsen BGS, Kvinnliga Ortopeder i Sverige

Mats Holmström

Professor i ÖNH, tidigare verksamhetschef på KS Stockholm mats.holmstrom@sll.se

olle.svensson@orthop.umu.se

Följ oss gärna på Facebook på “Kvinnliga ortopeders sällskap”.

Nya definitioner av protesinfektion

– men fortfarande saknas konsensus

Trots att risken för djup infektion efter primär höft- eller knäprotesoperation inte är högre än 1,5% så är protesinfektion (PJI=prosthetic joint infection), i dag den vanligaste orsaken för tidig reoperation. Infektion medför ett stort lindande för patienten men också stor kostnad för vården och samhället. Intresset för protesinfektioner har ökat kraftigt det senaste decenniet och kunskapsnivån bland svenska ortopeder har höjts.

De flesta PJI uppstår tidigt efter operation och genom systematisk uppföljning, adekvat diagnostik med protesnära odlingar, noggrann kirurgisk upprensning (med byte av utbytbara protesdelar) och efterföljande antibiotikabehandling i samråd med infektionsläkare, kan den största delen behandlas utan att protesen behöver avlägsnas. Vid dessa tidiga infektioner, liksom vid akuta hematogena infektioner bekräftas diagnosen i regel med positiva odlingar och utmaningen för den behandlande läkaren består i att inse att en djup infektion kan föreligga.

När det gäller kroniska PJI kan det vara mycket svårare att ställa diagnos. Orsaken till svårigheterna ligger i den främmande-material-infektionens natur och biofilm är ett centralt begrepp för förståelse. Bakterierna lever i anslutning till det främmande materialet i en symbios med värden där de inkapslade i ett slemliknande material delar sig långsamt och kan vara mycket svåra att identifiera med standard odlingsmetoder.

I avsaknad av en gold standard har det visat sig vara en ytterst svår uppgift att definiera vad är en protesinfektion – vilket ställer till problem vid forskning och jämförelser samt även till viss del i den kliniska vardagen.

I den klassiska artikeln skriven av Zimmerli, Trampuz och Oschner som publicerades i New England Journal of Medicine 2004 anges följande fynd vara förenliga med PJI: växt av samma bakterie i två eller flera

≥ 2 positiva odlingar

1 positiv odling

Pus i leden

Histologi

SR och CRP

minst 4 minor kriterier 1 pos odling endast om virulent bakterie

minst 3 minor kriterier 1 pos odling endast om virulent bakterie

minor kriteria ingår i poängsystem

CRP eller Ddimer x

SR x

Leukocyter i ledvätska x x x

Dominans av neutrofiler x x x x

Leukocyter i ledvätska eller leukocyt esteras test eller alfa-defensin x

major kriterier minor kriterier

Tabell 1. Sammanfattning av de mest använda kriterierna för definition av PJI.

odlingar från ledvätska eller vävnad, pus i leden, akut inflammation vid histologisk undersökning eller en fistel som kommunicerar med leden1

2011 kom den amerikanska organisationen MSIS (Musculoskeletal Infection Society) fram med kriterier som har fått stor spridning2. Kriterierna delas upp i major och minor och minst 4 av 6 minor kriterier måste vara uppfyllda. Minor kriterier inkluderar förhöjd SR och CRP, förhöjt antal leukocyter i ledvätska, dominans av neutrofiler bland leukocyterna i leden, enbart en positiv odling, pus i leden och histologi. Histologisk undersökning vid protesinfektion används inte i Sverige men övriga kriterier har kunnat tillämpas.

2013 träffades för första gången PJI experter från hela världen i Philadelphia vid det internationella konsensusmötet (ICM) och diskuterade förebyggande åtgärder, diagnostisk och behandling av PJI. Delegaterna försökte komma till en konsensus kring en rad påstående gällande PJI och när det kom till diagnostiska kriterier godtog 85% av mötesdelegaterna MSIS kriterierna från 2011, med små ändringar. Pus i leden föll bort som minor kriterium eftersom det ansågs omöjligt att visuellt skilja på pus och fynd relaterade till metallmetall artikulation. Vidare likställdes positivt leukocyte esterase test (urinsticka) med förhöjda leukocyter i ledvätska. Vid kroniska infektioner sattes tröskelvärdet för SR vid 30 mm/t, CRP vid 10mg/L, leukocyter i ledvätska vid 3.0 x 109/L och andel

neutrofiler vid 80%. Vid akuta infektioner sattes tröskelvärdet för CRP vid 100mg/L, leukocyter i ledvätska vid 10.0 x 109/L och andel neutrofiler vid 90%3

Den amerikanska infektionsläkarföreningen (IDSA) publicerade 2013 en artikel om PJI och deras definition liknar Zimmerlis tidigare definition med tillägget att fynd av virulent bakterie som Stafylokockus aureus i enbart ett prov anses tillräckligt för att ställa diagnos4

Året efter kom Zimmerli med ny artikel där han har lagt till förhöjda leukocyter i ledvätska och andel neutrofiler som kriterier och han likställer positiv odling efter sonikering av implantat med positiv odling av ledvätska eller vävnad5

Våren 2018 kom MSIS med en ny definition6. Fistel samt två positiva odlingar med standardmetod är major kriterier medan övriga tester ingår i ett poäng system som ger 3 kategorier; infekterat, oklart, och icke-infekterat I denna definition har det tillkommit ytterligare serologiskt test (D-Dimer) och prov från ledvätska (alfa-defensin).

Sommaren 2018 var det dags för det andra ICM mötet i Philadelphia http://icmphilly.com/ och MSIS 2018 definitionen lades fram och diskuterades intensivt. Vid omröstning var 68% för denna definition, 28% emot och 4% avstod från att rösta.

Bland det som kritiserades var att underlaget för att använda D-Dimer var otillräckligt då det finns bara en studie med begränsat antal patienter som visade att D-Dimer hade bättre specificitet (83%) och

sensitivitet (93%) än SR och CRP vid diagnos av protesinfektion8. Vidare kritiserades att alfa-defensin ingår i score systemet. Kvantitativ mätning av alfa-defensin visar specificitet på 96% och sensitivitet på 98% men provet är inte allmänt tillgängligt i Sverige. Det kommersiella alpha-defensin snabbtest som finns på marknaden (Synovasure®) har visats ha en lägre sensitivitet (71-84%). Snabbtestet kan ändå användas för att bekräfta PJI perioperativt men ingår inte i den nya ICM algoritmen.

Svenska infektionsläkarföreningen kom nyligen ut med en reviderad version av vårdprogram för led- och skelettinfektioner, http://infektion.net/ och där lyfts fram Zimmerlis definition från 2014. Den går dock inte fullt ut att tillämpa i Sverige eftersom det saknas rutin för histologisk granskning.

Experter runtom i världen fortsätter att diskutera hur PJI ska definieras och förhoppningsvis kommer det att bli en konsensus, men för att på riktigt komma framåt när det gäller diagnostik av de allra svåraste infektionerna, dvs de som uppvisar alla tecken på infektion men utan positiv odling, krävs troligen nya tekniker. I väntan av bättre metoder får vi förhålla oss till det som finns i dag.

I Uppsala används den nya algoritmen från MSIS/ICM för bedömning av protesinfektioner men D-Dimer och snabbtest för alfa-defensin används med försiktighet. I Lund används Zimmerlis definition från 2014 men med viss försiktighet när det gäller leukocyter i ledvätska då erfarenheten visat att förhöjda värden inte alltid är förenligt med protesinfektion.

REFERENSER

1. Zimmerli W, Trampuz A, Ochsner PE. Prosthetic-joint infections. N Engl J Med. 2004;351(16):1645-1654.

2. Parvizi J, Zmistowski B, Berbari EF, et al. New definition for periprosthetic joint infection: from the Workgroup of the Musculoskeletal Infection Society. Clin Orthop Relat Res. 2011;469(11):29922994.

3. Parvizi J, Gehrke T, Franklin B. Proceedings of the International Consensus Meeting on Periprosthetic Joint Infection.; 2013.

4. Osmon DR, Berbari EF, Berendt AR, et al. Diagnosis and management of prosthetic joint infection: clinical practice guidelines by the Infectious Diseases Society of America. Clin Infect Dis. 2013;56(1):e1-e25.

5. Zimmerli W. Clinical presentation and treatment of orthopaedic implant-associated infection. J Intern Med. 2014;276(2):111-119.

6. Parvizi J, Tan TL, Goswami K, et al. The 2018 Definition of Periprosthetic Hip and Knee Infection: An Evidence-Based and Validated Criteria. J Arthroplasty. 2018;33(5):1309-1314.

7. Shohat N, Bauer T, Buttaro M, et al. Hip and Knee Section, What is the Definition of a Periprosthetic Joint Infection (PJI) of the Knee and the Hip? Can the Same Criteria be Used for Both Joints?: Proceedings of International Consensus on Orthopedic Infections. J Arthroplasty. 2019;34(2):S325-S327.

8

. Shahi A, Kheir MM, Tarabichi M, Hosseinzadeh HRS, Tan TL, Parvizi J. Serum D-dimer test is promising for the diagnosis of periprosthetic joint infection and timing of reimplantation. J Bone Joint Surg Am. 2017;99:1419–1427

Bild 1. Diagnostiska kriterier från ICM mötet 20187 .

Frågorna från 2019 års

Svaren hittar du på www.ortopedisktmagasin.se

Ortopedexamen

Den 15 mars 2019 skrev ett antal läkare Ortopedexamens skriftliga del. Den består av frågor som testar de allmänna kunskaperna för handläggning av patienter på en allmän ortopedisk klinik. Skulle du klara frågorna?

Testa dig själv och gå sedan in på: www.ortopedisktmagasin.se för att se de rätta svaren. Max 100 p.

FRÅGA 1 (10p)

Årligen drabbas nästan 20.000 patienter i Sverige av en höftfraktur. Ghazi Chammout undersökte denna patientgrupp i flera randomiserade studier och kom i sin avhandling till viktiga slutsatser.

a) Utveckla de olika kirurgiska behandlingsalternativen som finns tillgängliga vid behandling av medial collum femoris-fraktur hos patienter äldre än 65 år och utgå i ditt resonemang från graden av dislokation samt patientens kognitiva status. Nämn komplikationer som är typiska för respektive metod. (3p)

b) Vilken metod är att föredra till en 72-årig patient med dislocerad collum femoris- fraktur (Typ Garden 3 eller 4)? Motivera varför. (2p)

c) Den 78-årige patienten med dislocerad collum femoris-fraktur som du ska operera under dagen klassas av narkosläkare som ASA3 och är allmänt skröplig och man undrar om du kan sätta en ocementerad stam. Skulle du välja en ocementerad protesstam på denna patient? Motivera skälen till ditt beslut. (2p)

d) Vilken behandling skulle du välja för en 85-årig patient från eget boende som i samband med fall ådragit sig en collum femoris-fraktur enligt bild ovan. Patienten har arteriell hypertoni, är annars frisk och kognitivt intakt. Motivera ditt svar. 3p

FRÅGA 2 (10p)

En 64 år gammal kvinna som har fått allt mer besvär med domningar, fumlighet och viss smärta strålande ut i händerna, framför allt i höger hand, har sökt på sin VC. Distriktsläkaren beställde en MR av halsryggen och fann en hel del degenerativa förändringar i flera nivåer varför patienten nu remitterats till sjukhuset och är idag bokad på din mottagning.

a) Vad vill du komplettera anamnesen med? (2p)

b) Vad bör du undersöka vid status? (2p)

c) Vilka differentialdiagnoser bör du ha i åtanke? Nämn minst tre. (2p)

d) Du kan inte komma åt radiologens bedömning men kan se MR-bilderna. Vad visar denna sagitella MR-bild? Beskriv vilka nivåer som uppvisar patologi som kan ge patienten de beskrivna symtomen samt hur du utifrån denna bild skulle benämna patologin. (2p)

e) Hur vill du handlägga patienten om du vid status finner tydligt påverkat neurologstatus och vilken information ger du henne angående möjligheter att få symtomen att gå tillbaka? Hur bråttom är det att behandla? (2p)

FRÅGA 3 (5p)

Frisk icke-rökande 45-årig man faller ned 4 m från tak och inkommer med skada enligt bifogade bilder. Patienten har distala pulsar, god känsel och bevarad motorik men är naturligtvis hämmad av smärtan. Du är jour med ansvar för både akut och operationsavdelningen.

a) Beskriv utförligt i punktform vad som ingår i din handläggning på akutmottagningen (2p)?

b) Hur klassificerar du frakturen enligt Gustilo-Anderson, motivera ditt val (1p)?

c) Hur ser dina primära plan ut på operation? Beskriv detaljerat vad du gör (2p)?

FRÅGA 4 (5p)

38-årig säljare i butik. Frisk för övrigt. På fritiden cyklat omkull med sin mountainbike och slagit i sin vänstra axel. Utifrån det kunskapsläge som finns nu avseende klavikelfrakturer (både randomiserade studier och rekommendationer).

Ortopedexamen

a) Vilka absoluta/ mycket starka indikationer finns för att välja operativ behandling (2p)?

b) De flesta patienter saknar absoluta indikationer för operativ behandling. På gruppnivå; vilka huvudskillnader finns mellan operativ och icke-operativ behandling avseende diafysära klavikelfrakturer (3p)?

FRÅGA 5 (5p)

45-årig kvinna halkar på en isfläck och tar emot sig med höger hand. Skadan är sluten.

a) Utifrån slätröntgenbilderna, Vilka anatomiska strukturer är skadade? 3 p

b) Har skadan något sammanfattande namn? 2 p

FRÅGA 6 (5p)

Frakturer genom dens axis är vanligt förekommande, inte minst hos den åldrade patienten. Vanligen klassificeras dessa enligt Anderson och D´Alonzos, en klassificering som är viktig att känna till då den styr behandlingen.

Beskriv utseendet av de olika typerna som ingår i denna klassificering samt mycket översiktligt den vanligaste behandling vid de olika typerna.

FRÅGA 7 (5p)

a) Vad betyder spondylolistes? 1p

b) Förklara skillnaderna mellan begreppen retro- and anterospondylolistes. 2 p

c) Redogör orsaken till dysplastisk, istmisk och degenerativ spondylolisthes. 2 p

FRÅGA 8 (5p)

Flera primärjourer misstolkar en gammal människas symtom med smärta i knäet efter ett mindre falltrauma. Efter flera månader med tilltagande smärta, kraftig försämrad gångförmåga och tilltagande benförkortning så röntgas äntligen höftleden. Man ser då en kraftigt dislokerad cervikal fraktur av äldre datum och begynnande benförluster i acetabulum. Utredning och behandling har alltså fördröjts och patienten har drabbats av en undvikbar allvarlig vårdskada.

a) Vad kallas den regel som leder till skyldighet att utreda och anmäla en dylik händelse till sjukvårdens granskande myndighet? (1p)

b) Till vilken myndighet anmäler man enligt ovan? (1p)

c) Vad är syftet med anmälan? (1p)

d) Patienten kan ansöka om ekonomisk ersättning för den undvikbara vårdskadan. Till vilken instans görs en sådan ansökan? (1p)

e) Vilken instans beslutar om ärenden gällande yrkesverksammas legitimation, förskrivningsrätt mm? (1p)

FRÅGA 9 (5p)

Du träffar en 30-årig kvinna som upplever sig ha stora besvär med hallux valgus på höger fot. Hon har besvär med värk medialt om första metatarsalhuvudet när hon har skor på sig. Hon upplever inte andra besvär i framfoten. Du lyssnar på henne, utför fotstatus och tittar på hennes röntgenbild (se ovan). Ni kommer överens om operativ behandling.

a) Är detta ett operationsfall för en ST-läkare som precis haft sin fotplacering? Vilken operation är lämplig? (2p)

Din nästa patient på mottagningen brukar gå en mil med sin hund varje dag. Hon har haft problem med framfötterna under många år men nu är det värre. Hon har sista åren mest gått i rymliga gummistövlar. Problemet är nu att dessa spricker på insidan av stortåns grundled. Hon måste köpa nya stövlar var tredje månad. Däremot har hon inte någon djup ledsmärta. Hon vill få sina stortår opererade.

b) Vilka typer av osseösa operativa korrektionsalternativ har du vid uttalad hallux valgus? Nämn 4 olika. (3p)

FRÅGA 10 (4p)

Följande patienter med femurdiafysfraktur kommer in till akutmottagningen. Inget av barnen har någon annan skada eller uppenbara blåmärken, ej heller blåa ögonvitor, och är i övrigt friska. Fall 1: 6 veckor gammal bebis med femurdiafysfraktur, pappan uppger att barnet sprattlat till på skötbordet när han höll i benet

och det knäppte till.

Fall 2: 6 månader gammalt barn med femurdiafysfraktur, ramlat från skötbordet med benet mot en hård kant, mamman var utanför badrummet för att hämta en ren handduk.

Fall 3: 6 månader gammalt barn med femurdiafysfraktur, mamman halkat i trappan, tappat barnet och ramlat över det. Pappan och mormor som var med gick före nedfört trappan men hann inte vända sig om och hejda fallet.

Fall 4: 2-årig pojke med femurdiafysfraktur. Enligt pappan som var med, sprang pojken runt på gräsmattan och ramlade plötsligt och skrek. Kunde ej röra benet därefter.

Vad gör du förutom att behandla frakturerna och eventuellt initiera medicinsk utredning?

Välj 1, 2 eller 3 dessa alternativ för respektive fall: A - lägger in barnet för behandling B - anmäler till socialtjänsten C - inleder utredning avseende barnmisshandel.

FRÅGA 11 (4p)

På din mottagning träffar du en patient med grav fotledsartros. Han är påläst via internet och vill nu bli opererad med en fotledsprotes. Han har svåra problem med smärtor i såväl vila som vid belastning och har provat tillgängliga icke kirurgiska åtgärder. Röntgen, se bilder.

a) Etiologin för fotledsartros skiljer sig från t.ex. knä-och höftartros. Hos drygt 70% av patienterna är trauma orsaken till artrosutveckling i fotleden. Nämn tre olika typskador som kan ge upphov till posttraumatisk artros i fotleden. (2p)

b) Du råder patienten till operation med en fotledsartrodes. Varför är i nuläget inte nödvändigtvis fotledsprotes förstahandsalternativ vid grav fotledsartros? Ange minst 2 huvudsakliga skäl till detta, vilka bland annat framkom i de studier som ledde fram till Ilka Kamrads avhandling om fotledsartros 2017. (2p)

FRÅGA 12 (4p)

Inom de medicinska specialiteterna används ofta latinska begrepp. Vilka tillstånd beskriver följande termer?

a) Karbunkel. 1 p

b) Panaritium. 1 p

c) Kondromatos. 1 p

d) Meningocele. 1p

FRÅGA 13 (3p)

Inom de medicinska specialiteterna används ofta egennamn för att beskriva kliniskatester. Nedan följer 2 olika ortopediska kliniska tester som beskrivs med egennamn. Vilken anatomisk lokalisation undersöks och vad är det man testar?

a) Barlows test

b) Phalens test

FRÅGA 14 (3p)

Tonåring med sedan 2 veckor tillbaka tilltagande smärtor från fotled, som är svullen. Hög feber samt hög CRP och SR. Slätröntgen visar inget anmärkningsvärt.

a) Vad misstänker du? (1p)

Man utför artroskopisk spolning av fotleden och finner grumlig vätska, tar vävnadsodling och sätter in intravenös antibiotika. Odling visar växt av Staphyloccocus Aureus och adekvat antibiotika är insatt. Trots upprepade spolningar, som nu inte visar någon grumlig vätska eller pus, fortsatt ont och svullen samt feber och högt CRP. En magnetkamera undersökning utförs, var god se bild, som visar subperiostalt ödem/abscess och tecken på infektion i benet.

b) Vad gör du nu? (1p)

c) Hur kan man förklara sjukdomsförloppet, med avseende på spridningen? (1p)

FRÅGA 15 (3p)

11-årig pojke med trauma mot vänster knä vid fotbollsspel. Du finner att knät är svullet och beställer röntgen.

a) Diagnos? (1p)

b) Behandling? (2p)

FRÅGA 16 (3p) (se bild på nästa sida)

a) Redogör för potentiella ortopediska biverkningar av fluorokinoloner. (1p)

b) Ge exempel på komorbiditet som ökar risken för biverkningar. (1p)

c) Ge exempel på en vanlig potentiell läkemedelskombination som ökar risken för biverkningar. (1p)

Ortopedexamen

FRÅGA 17 (3p)

Du är ortopedjour när Göta, 78 år, kommer till akuten med ont i handleden efter att ha trillat i badrummet på morgonen. Du konstaterar snabbt en ordentligt svullen handled och av allt att döma en rejält dorsalbockad distal radiusfraktur. Göta säger sig inte ha ngn känsel i fingrarna. Det har gått flera timmar sedan hon ramlade.

a) Hur kan du testa graden av känsel i fingrarna för att bedöma grad av känselbortfall? (1p)

Du beslutar skicka henne till röntgen och får dina misstankar bekräftade. Hon har en kraftig dorsalbockning i en annars radiologiskt okomplicerad fraktur.

b) Vad borde du väl egentligen ha gjort som omedelbar åtgärd innan röntgen, men gör nu? Motivera varför. (1p)

Fyra veckor senare kommer Göta till mottagningen. Frakturen har behandlats konservativt eftersom den inte hade någon intraartikulär komponent och ett gott och stabilt läge. Göta berättar att känseln kommit tillbaka nästan helt men att hon sista veckan haft intensivt ont över dorsala delen av distala radius, hon pekar på Listers tuberkel. Dessutom sved det till ännu mer igår kväll när hon skulle försöka dra på sig ett par vinterstövlar. Nu kan hon inte riktigt öppna tumgreppet ordentligt.

c) Vilken komplikation har inträffat? Ange närmare lokalisation. (1p)

FRÅGA 18 (3p)

Para ihop bild med rätt diagnos samt ange behandlingsprincip och målsättning med behandling för respektive tillstånd.

1. Coxitis simplex

2. Coxa plana/ Mb Perthes

3. Cerebral pares

4. Fyseolys caput femoris

5. Sent upptäckt höftledsluxation

FRÅGA 19 (3p)

Kvinna 46 år som opereras med omvänd hybridprotes. Utvecklar under det postoperativa året rörelserelaterade ljumsksmärtor och sedan belastningssmärtor. Cupen revideras efter 3 år på grund av lossning.

a) Mot bakgrund av cupens placering skulle man i första hand ha förväntat sig en annan tidig komplikation. Vilken? (1p)

b) Vad kan ha bidragit till patientens ljumsksmärta? (1p)

c) På vilket sätt kan cupens placering ha ökat risken för lossning. (1p)

FRÅGA 20 (2p)

Diagram från Svenska höftprotesregistrets årsrapport 2017 som visar kumulativ protesöverlevnad baserat på utfallet ’revision på grund av lossning’ upp till 3 år efter primäroperation. Helt cementerade och helt ocementerade proteser jämförs här. 138 490 cementerade och 24 548 ocementerade proteser ingår vid start (tid=0).

a) Vad anger den skuggade ytan och hur skall denna information tolkas? (1p)

b) Varför är den skuggade ytan bredare vid användning av ocementerad fixation? (1p)

FRÅGA 21 (2p)

Ca 15% av alla patienter med primär total knäplastik blir inte nöjda trots att komponenterna är korrekt placerade. Redogör för möjliga orsaker.

FRÅGA 22 (2p)

En 23 årig fotbollsspelare söker dig för smärta medialt i höger knä sedan ett vridvåld för 4 veckor sedan. Du beställer röntgen av höger knä för att utesluta skelettskada. Röntgen visar ingen skelettskada, men i överkant av bilden finns en intramedullär förändring som är ofullständigt avbildad. En kompletterande röntgen av distala femur har därför utförts (fig1).

a) Vilken är diagnosen? (1p)

b) Vilken behandling föreslår du? (1p)

FRÅGA 23 (2p)

En tidigare frisk, fotbollsspelande, 15-årig pojke har remitterats till dig med 2 månaders anamnes på värk i vänster knä. Knästatus är u.a. förutom att han ömmar kraftigt över tuberositas tibia. Du misstänker Osgood –Schlatters sjukdom och beställer röntgen och magnetkameraundersökning av vänster knä.

a) Vilken är den troligaste diagnosen? (1p) b) Hur går du vidare? (1p)

FRÅGA 24 (2p)

Röntgen av fot, 13-årig flicka utan trauma.

a) Diagnos?

b) Vanligaste symtomet?

c) Kliniska fynd vid undersökning?

d) Behandling?

FRÅGA 25 (1p)

Många av våra patienter som planeras för proteskirurgi i höft eller knäled är obesa och/eller har diabetes. Vilket av nedanstående påståenden stämmer bäst överens med det vetenskapliga evidensläget?

A. Diabetes (även välinställd) ökar komplikationsrisken.

B. Diabetes (även välinställd) ökar inte komplikationsrisken.

C. Fetma ökar komplikationsrisken.

D. Fetma ökar inte komplikationsrisken.

E. Kombination av diabetes (även välinställd) och fetma ökar komplikationsrisken

F. Inget av ovanstående.

FRÅGA 26 (1p)

70 årig man med medial högersidig gonartros och lätt hypertoni. Opereras med knäprotes men har kvarstående besvär med instabilitet. Faller av och till då knäleden viker sig. Röntgen visar hö knäled cirka 2 år före och 3 år efter operation. Vad är troligaste orsaken till att patienten faller?

Pelles säkerhetshörna Säker Traumavård

Hösten 2014 genomfördes pilotomgången i Säker Traumavård, och under våren 2019 granskas de återstående sjukhusen. Därefter har alla 54 sjukhus som åtminstone enligt planer tar emot traumapatienter granskats av tvärprofessionella granskningsteam. Förutom de lokala och regionala förbättringsarbeten som genomförts som led i granskningen, har projektet kommit att ge en bra nationell bild över styrkor och svagheter i svensk traumasjukvård.

Det finns idag hos professionerna ett starkt engagemang för en bra traumasjukvård, något som inte alltid motsvaras av det som ses hos ledningar. Det finns också en generellt god professionell kompetens, både vad gäller teoretiska och praktiska färdigheter.

Vad som också är slående är de många parallella system och processer som finns. Mycket av det dagliga arbete, men också de utvecklingsinsatser, som görs är osynkroniserade med andra delar av sjukhusen, eller närliggande sjukhus. Den kanske mest påtagliga bristen är frånvaron av uppföljning av hur det går för patienterna. Både på lokal och på nationell nivå finns brister i uppföljning av utfall, även om detta successivt håller på att rättas till. Det säger sig självt att utan uppföljning är det svårt att veta hur man ligger till i resultat, och att det är lika svårt att veta om ett sjukhus blir bättre eller sämre. Vad vi också vet är att de enheter som verkligen tagit reda på hur

det går för sina patienter inte på något vis behöver skämmas för sina resultat, då de jämförs med de bästa internationella centra.

Det är ännu för tidigt att kunna påvisa vad Säker Traumavård har medfört i form av bättre nationella resultat för patienterna. Detta beror delvis på bristen på data, men också att vi från andra Säker-projekt vet att pålitliga nationella resultat inte kan ses förrän efter några år.

Vad Säker Traumavård dock redan nu har medfört är att traumalarmen har blivit mer precisa. De traumalarmskriterier som lanserades våren 2017 har utvärderats av Fredrik Linder i Uppsala, som i sin avhandling från 2018 visar att andelen övertriage har reducerats betydligt, utan att negativa konsekvenser i form av undertriage kunnat ses. En riskgrupp kan dock anas; personer över 60 år som står på antikoagulantiabehandling och som har fallit i samma plan kan inte lika tydligt som tidigare selekteras fram (även om de kan fångas på kriterierna under Observandum). Projektet fortsätter att följa utfallet för dessa patienter.

I slutet av februari 2019 ges så den första Traumateamutbildningen för instruktörer, som efter genomgången 2-dagarskurs ska kunna hålla 1-dagarsutbildningar på hemmaplan. Utbildningen berör främst så kallade icke-tekniska färdigheter, och syftar främst till förbättra teamarbetet vid omhändertagande av traumapatienter.

Under våren 2019 kommer också nationella rekommendationer för prehospital rörelsebegränsning att lanseras. Dessa har tagits fram av en arbetsgrupp inom projektet, och kan ses som en vidareutveckling av de norska kriterier som funnits sedan 2016. I korthet kommer de

nya rekommendationerna att innebära att färre patienter blir föremål för prehospital rörelsebegränsning, och att fler metoder för att uppnå detta rekommenderas. Stel halskrage kommer att bli betydligt mer sällsynt förekommande på våra akutmottagningar framöver, då användning rekommenderas bara vid losstagning/uttagning.

Mot slutet av våren 2019 kommer också rekommendationer för CT vid trauma, penetrerande skador och masskadesituationer att lanseras. Även dessa har tagits fram av en bred arbetsgrupp inom projektet.

Det är också glädjande att se det ökade samarbetet med Norge, som i vissa sammanhang ligger klart före Sverige vad gäller organisation och möjligheter att utveckla traumasjukvård, men även vad gäller forskning på trauma. Säker Traumavård har också bidragit till ett ökat samarbete inom Sverige. Allt fler oförklarliga och omotiverade skillnader i omhändertagande, behandlingsprinciper och utfall är på väg bort, något som bara kan gynna patienten.

Pelle Gustafson Docent, Chefläkare Löf, Stockholm
Foto: iStock

Årets avhandling

Biomaterials as carriers for bone active molecules

An approach to create off-the-shelf bone substitutes

Större bendefekter kan uppstå på grund av tumörsjukdom, infektion eller lossnade ledproteser. Ofta behöver benvävnad transplanteras för att fylla defekten men tillgången både på eget ben och ben donerat av andra patienter är begränsad.

Som alternativ har injicerbara keramiska benersättningsmaterial utvecklats i Lund och i avhandlingen visar vi att dessa keramer nu kan användas även för större bendefekter med modifikationer.

Biomaterial kan inte ensamt ersätta en större bendefekt. Ofta behöver man kombinera biomaterialet med eget ben, levande mesenkymala celler eller tillväxtfaktorer. I avhandlingen har vi använt rekombinant humant Bone Morphogenic Protein- 2 (rhBMP-2) för att öka benbildningen, tillsammans med en injicerbar keram som bärare. En lokal frisättning av rhBMP-2 skedde parallellt med att materialet löstes upp och omvandlades till ben.

Kommersiellt finns det i dag bara en FDA-godkänd bärare av rhBMP-2. Denna utgörs av en absorberbar kollagen-svamp (ACS, Medtronic®) som bryts ner snabbt och ger en frisättning av rhBMP-2 i suprafysiologiska doser. De höga doserna orsakar dels en lokal inflammation men också en stimulering av bennedbrytande celler (osteoklaster) vilket minskar styrkan i det nybildade benet.

Bisfosfonater används för behandling av benskörhet och hämmar just osteoklasterna. Vi kombinerade biomaterialet med en potent bisfosfonat (zoledronsyra, ZA) och kunde blockera den BMP-inducerade sekundära osteoklast-aktiviteten och resorptionen.

Genom att använda en keram som bärare fick vi en mer långvarig och kontrollerad frisättning. Dosen av rhBMP- 2 kunde sänkas

men effekten på bennybildningen bibehållas. Totalt sett gav kombinationen BMP-2 med ZA i keram ett avsevärt bättre resultat än med kollagen-svamp.

Vi har för första gången kunnat visa att enbart en låg dos av lokalt administrerad ZA förbättrade benbildningen i en spongiös bendefekt utan tillsats av beninduktivt protein.

I avhandlingen visar vi att man kan förfina styrningen av benläkningen och adaptera biomaterial, operationsteknik och läkemedel så att spongiös och kortikal benläkning kan optimeras separat.

Med denna avhandling skapas en teoretisk bas för att studera biomaterial som bärare av benaktiva molekyler vid benläkning. Vi tror att dessa tekniker i framtiden kan ersätta dagens traditionella bentransplantations tekniker.

Länk till artiklar och avhandling; https://www.avhandlingar.se/om/Deepak +Raina/.

SLUTSATS

1. ZA och BMP-2 är bättre tillsammans än endast BMP2 och man kan med kombinationen minska rhBMP-2 dosen med en faktor 4.

2. De testade keramiska materialen är effektivare bärare av rhBMP-2 än det kommersiellt tillgängliga FDA-godkända bärarmaterialet.

3. Lokal frisättning av enbart ZA, via en bärare, ökar benbildning i trabekulärt ben.

4. En keram innehållande en kombination av ZA och BMP-2 kan fungera som benersättning inom ortopedisk kirurgi.

Att leda sjukvård 2019-2020

Ledarskapsfördjupning för yngre specialistläkare inom ortopedi och andra kirurgiska specialiteter

Ett samarbete mellan Svensk Ortopedisk Förening och Handelshögskolan i Stockholm Executive Education

Svensk Ortopedisk Förening i samverkan med Handelshögskolan i Stockholm

Executive Education har utvecklat ett ledarutvecklingsprogram för specialistkompetenta yngre läkare med ledarpotential.

Är du en framtida ledare?

– Eller har du som chef en medarbetare med ledarpotential? Vill du som läkare vara med och driva utveckling av framtidens sjukvård och ledningen av verksamheten? Behöver du utveckla din förmåga att leda och få mer kunskap om ledning för att ta på dig ett fra mtida ledningsuppdrag?

Svensk Ortopedisk Förening i samverkan med Handelshögskolan i Stockholm

Executive Education erbjuder ett ledarutvecklingsprogram – Att leda sjukvård – för yngre specialistkompetenta läkare som har potential och intresse för framtida ledar- och chefsroller.

Programmets syfte

Programmets övergripande mål är att bredda rekryteringsbasen av läkare till chefs- och ledaruppdrag inom ortopedi och andra kirurgiska specialiteter. Programmet skall vara meriterande och förberedande för blivande sektions- och verksamhetschefer samt även för framtida

ledare inom den akademiska verksamheten. Mer specifikt skall programmet erbjuda en ledarskapsfördjupning som är skräddarsydd för yngre specialistläkare inom ortopedi och andra kirurgiska specialiteter och behoven i sjukvården i följande dimensioner:

– DET PERSONLIGA LEDARSKAPET Stärka kunskaper, färdigheter och perspektiv på vad det innebär att verka som chef och ledare i läkarrollen

– LEDNING OCH STYRNING tillhandahålla kunskaper och färdigheter i verktyg, metoder och angreppssätt för att kunna styra och leda verksamhet inom sjukvården

– OMVÄRLD bidra med en ökad förståelse för sjukvårdens yttre betingelser

Målgrupp

Yngre specialistkompetenta läkare inom ortopedi och andra kirurgiska specialiteter med ledarpotential. ST-läkare i slutfas av sin utbildning kan också komma i fråga i mån av plats.

Programinnehåll

MODUL 1

LEDARE I ETT SAMMANHANG (13 – 15 nov. 2019) 1 kväll+2 dagar

MODUL 2

PÅVERKAN OCH BETEENDEN (22 – 24 jan. 2020) 3 dagar

LEDARBETEENDEN

MODUL 3

ATT LEDA OCH FÖLJA (4 – 6 maj 2020) 3 dagar

MODUL 4

VAD HAR HÄNT? (19 – 20 nov. 2020) 1 kväll + 1 dag

DAG 1

DAG 2

DAG 3

ATT LEDA

OMVÄRLD

STYRNING

HÄLSOEKONOMI; ETIK

KULTUR och NORMER

SUMMERING

Information och ansökan

Plats

Programmet genomförs som internat på kursgård i Stockholmstrakten

Programledare

Gunnar Westling

Datum

Programmet omfattar 10 dagar fördelat på 4 moduler ( 2,5+3+3 + 1,5 dagar) samt en uppföljningsmodul:

Modul 1: 13 – 15 nov. 2019 (start kl 17:00 den 13 nov.)

Modul 2: 22 – 24 januari 2020

Modul 3: 4 – 6 maj 2020

Modul 4: 19 – 20 nov. 2020

”Helhetssynen i ledning av sjukvård samt insikter om egna styrkor och svagheter som ledare”

Pris

57 000 kr exkl moms. Internatkostnader tillkommer.

Ytterligare information och frågor För mer information och ansökningsblankett kontakta Ola Ejlertsson ola.ejlertsson@exedsse.se +46 8 586 175 12.

Ansökan

Verksamhetschefen nominerar medarbetare med ledarpotential. Till ansökan bifogas ett nomineringsutlåtande från nominerande chef.

Ansökan mailas till sofkansli@ortopedi.se

”Om du vill få insikt i vad det innebär att leda inom sjukvård bör du gå denna kurs”

”Den höga kvalitén och professionalismen som genomsyrar hela programmet”

Deltagarna som gick programmet 2013-2014 om varför de vill rekommendera andra att gå programmet

Begränsad användning av p-värden

Det fanns en tid när vetenskapliga publikationer inom det medicinska området huvudsakligen bestod av fallbeskrivningar och expertutlåtanden. Uppfattningen om sjukdomars etiologi och behandling var authority-based, inte evidence-based.

Efter andra världskriget utvecklades den medicinska forskningen till att istället baseras på experiment och observationer av grupper av individer. Flera exempel på detta finns i Storbritannien. Här utfördes under slutet av 40-talet och under 50-talet den första moderna kliniska prövningen, en randomiserad studie av streptomycin mot TBC, och två grundläggande epidemiologiska studier av sambandet mellan cigarettrökning och lungcancer, en kohortstudie och en fall-kontrollstudie. Att tolka jämförelser mellan olika grupper av individer är komplicerat. Man måste skilja mellan vad som åstadkommits av den studerade exponeringen och vad slumpen förorsakat, ett i praktiken olösligt problem. Det närmaste man kan komma en lösning är att värdera osäkerheten för olika händelser, och detta kräver statistisk analys. Det mest använda statistiska måttet på osäkerhet är p-värdet som alltså spelar en central roll inom modern medicinsk forskning.

Med tiden har emellertid den allmänna tolkningen av p-värdet förvanskats. Det började med en förlust av insikten att p-värdet representar osäkerhet. Istället började p-värdet uppfattas som ett effektmått, ju lägre p-värde desto störe effekt eller skillnad mellan de jämförda grupperna. En skillnad mellan två grupper ansågs "existera" bara om p-värdet var tillräckligt lågt, understigande den magiska gränsen 0.05, annars ansågs det inte finnas någon skillnad även om mätvärdena var uppenbart olika. Nästa steg i utvecklin-

gen var att missuppfattningen att alla sådana "existerande" skillnader också ansågs vara vetenskapligt relevanta och praktiskt betydelsefulla. Det sågs som en stor fördel att bedömningen av vetenskaplig relevans kunde göras både objektivt och reproducerbart baserat på ett p-värde. Ett ytterligare steg i denna olyckliga utveckling är att p-värdet har blivit ett substitut för vetenskapligt tänkande. Att utarbeta en genomtänkt vetenskaplig frågeställning med en adekvat studiedesign och relevant analysplan kräver kunskap, erfarenhet och tålmodigt arbete. Att kunna ersätta allt detta med ett användarvänligt statistikprogram och vilken insamlad datamängd som helst kan naturligtvis vara lockande. Mängder av p-värden, som felaktigt tros signalera vetenskaplig relevans, kan då produceras på kort tid och utan nämnvärda insikter.

Forskningsresultat som tillkommer på detta sätt publiceras regelmässigt i vetenskapliga tidskrifter, refereras i nyhetsmedia och vilseleder läkare, patienter och myndigheter. Det är ett allvarligt slöseri med resurser som kunde använts bättre. Missförstånden om p-värden innebär helt enkelt en avsevärd snedvridning av den vetenskapliga processen, och detta är en väsentlig del av förklaringen till den reproducerbarhetskris som drabbat medicinsk och annan forskning (Nuzzo R. Fooling ourselves. Nature 2015;526:182-185). Med syfte att styra forskningen in i en post p<0.05 era har den amerikanska statistikerföreningen ASA också publicerat ett formellt

ställningstagande till användning av p-värden (Wasserstein RL, Lazar NA. The ASA's Statement on p-Values: Context, Process, and Purpose. The American Statistician 2016;70:129133). Bedömning av manuskript som insänts till Acta Orthopaedica för publicering inkluderar därför nu en strikt kontroll av att användningen av p-värden är meningsfull.

ARTIKELN I ACTA:

Time to restrict the use of p-values. Volym 90, 2019 – nummer 1 samt Acta Orthopaedica online, publicerad 26 nov 2018

Jonas Ranstam Statistisk redaktör Acta Ortopaedica

Nygammalt implantat vid höftproteskirurgi

Implantöverlevnad för trabeculära metall cupar i tantalum (TM) samt övriga ocementerade cupar (uncemented).

Cupar av trabekulärt metall (TM) introducerades på den svenska marknaden i mitten av 2000-talet. Dessa cupar har uppenbara teoretiska fördelar som sannolikt kommer att minska risken för senare lossning, framförallt där den benbädden är komprometterat. I flera studier har TM-cupen visat gynnsamma resultat vid höftrevisionskirurgi.

Samtidigt har användningen av cupar med trabekulär yta ökat vid primär höftplastik. Detta trots att data som styrker TMcupars långtidsresultat vid primär höftplastik saknas.

I den aktuella publikationen jämförde vi implantatöverlevnad av TM-cupar med andra vanliga ocementerade cupar, använda vid primär höftplastik.

10 113 primära höfter opererade med TM-cup och 85 596 operationer med andra ocementerade cupar, inrapporterade till svenska och australiensiska ledprotesregistren, inkluderades i analysen. Kaplan-Meier och regressionsmodeller justerade för relevanta skillnader mellan grupper användes för att analysera implantatöverlevnaden upp till åtta år.

Vi fann att 8-års överlevnaden var lägre för TM-cupar jämfört med andra ocementerade cupar (p=<0,001). Justering för relevanta faktorer i en Cox-regressionsmodell visade att TM-cuparna hade en 50% högre risk för revision (HR=1,5, 95% CI 1,4-1,7, p=<0,001).

Resultaten för denna registeranalys ska tolkas med viss försiktighet då det vid observationella studier kan finnas faktorer som inte går att ta justera för. Huruvida dessa faktorer skulle ha påverkat våra resultat är förstås svårt att sia om.

Samtidigt kan vi efter att ha inkluderat närmare 100 000 operationer i analysen med goda grunder uppmana till försiktighet vid användning av TM-cupar, speciellt hos patienter med okomplicerad primär artros där det idag finns andra välfungerande alternativ.

Vi vill uppmana alla ortopedkirurger att efterfråga långtidsresultat när nya implantat marknadsförs. För primära höftplastiker finns internationella rekommendationer om 10-årsöverlevnad på över 95% för att implantatet ska anses ha tillräcklig dokumentation. Om dessa långtidsdata saknas bör användningen av implantatet som klinisk rutin undvikas.

Implantöverlevnad för trabeculära metallcupar i tantalum (TM) samt övriga ocementerade cupar (uncemented).

ARTIKELN I ACTA:

Trabecular metal acetabular components in primary total hip arthroplasty

Volym 89, 2018 - nummer 3 Acta Orthopaedica online, publicerad 5 feb 2018

Maziar Mohaddes Överläkare och docent i ortopedi Sahlgrenska universitetssjukhuset

Transparens och ansvar

Hammurabis lagar från 1700-talet f.Kr reglerade tillsynen av läkare: öga för öga, tand för tand. Nu strider väl den babyloniska lagen mot dagens arbetsrättsliga principer, skulle dessutom sabba jourschemat, och vore nog så svårhanterlig för IVO och SoS.

Men är inte bolinerna ovanligt lösa nuförtiden? lVO har inte funnit någon balans mellan personligt ansvar och systemfel. Man låter sjukvårdsenheterna i stor utsträckning utreda sina egna missgrepp. Ofta kommer chefläkarna då fram till att det minsann finns skrivna riktlinjer på någon server. Om de sedan tillämpas eller ej, verkar vara av underordnad betydelse.

SoS är legära med kontroll av legitimationerna. Och vi i vården kollar inte referenserna. Det härjar därför en del charlataner. Den som har en EU-examen har faktiskt fritt fram att operera det man kommer över. Och det tar år innan det har samlats tillräckligt mycket pus innan bölden spricker. Även om visselblåsare blåser sig blåa i ansiktet, så blir de ofta blåsta. Vi lägger så gärna locket på!

Förhoppningsvis kan vi med streckkoder få ordning på kirurgiska implantat. Men kirurgen själv är långt viktigare än både metodval och implantat. Operatören står för indikation, operation, post op-planering och uppföljning.

Det finns dock en enkel och billig lösning: registrera inte bara implantaten, utan även förskrivar- och arbetsplatskod vid alla kirurgiska ingrepp – följ upp det, och åtgärda missförhållanden fortlöpande. Det sker på de flesta andra områden utanför medicinen. Koder krävs dock sedan länge för att skriva ut recept och hjälpmedel. Varför inte för kirurgiska ingrepp? Det skadar förvisso inte att skriva riktlinjer, kontrollera processen, men produkten är viktigare. Eller?

Det enklaste, billigaste och säkraste är att inkludera koderna i vårdens databaser med automatisk länkning till Socialstyrelsens databaser där alla övriga uppgifter för statistisk bearbetning redan finns. Man kan så korsköra mot reoperationer, återinläggningar, allmänkomplikationer som infektioner, trombos, patient-reported outcomes och död. Sedan kan man länka till kvalitetsregistren. On-line-rapportering som i finansbranschen och industrin. Vad fan får vi för pengarna? som stordirektören skrev. Ingenting höjer kvalitén som att hålla koll på vad man verkligen gör, inte enbart vad man borde göra eller borde ha gjort.

Hot mot den personliga integriteten? Ja, förvisso för de kirurger som floppar; inte för patienten; inte för skattebetalarna. Cause the times they are a changin.

Som alla vet opererar docenten Gyllenknivf personligen de svåraste fallen. Samtidigt vet vi att de bästa resultaten får man om man opererar friska patienter. Men den goda docenten kan vara trygg vid utvärderingar, ty hon vet att det finns statistiska metoder att kompensera för case mix. Enskilda fall är inte heller intressanta – ein Fall ist kein Fall –utan det krävs stora grupper av patienter för att se trender och dra slutsatser.

När de ortopediska kvalitetsregistren startade på 1970-talet, väckte det starka känslostormar när man skulle jämföra olika enheter. Det hävdades med vita knogar och röda ansikten att Ankeborg inte ginge att jämföra med Grönköping. Öppenheten har ökat, men fortfarande är det känsligt, och kvalitetsregistren tvekar ännu att publicera resultaten för olika enheter och kirurger, trots att kirurgfaktorn är mycket viktigare än vilket implantat man använder, och att systemfel på enheterna snart skulle framträda tydligt. Först om man mäter kan man ju göra nått!

Inte sant? När du behöver opereras, kommer du mycket raskt att ta reda på vem som ska få hålla i kniven. Av samma skäl som Du kollar upp vem som ska få renovera ditt badrum.

Träning ger färdighet (SOU 2015:98) kom till den föga förvånande slutsatsen att det är bra att samla sällan-operationer. Utredningen sköts ner strax efter den lyft från runway, för man hade trasslat in sig i åtgärdskoderna. Det går alltid att hitta fel och brister. Men hårda kalla verkligheten består inte bara av prospektiva randomiserade studier utan också hur det fungerar i praktiken.

Förövrigt anser Pompe att nu när de ortopediska kvalitetsregistren tyvärr förlorar sin finansiering borde de ändra arbetssätt och dränera dokumentationsträsket. Det kan bara vi i professionen göra.

TriFit™ Web

The OA Knee Brace

PERFECT FIT TO STAY ACTIVE

3-dimensionell komfort och support

Knäortosen med perfekt passform

Web Tech™

Omsluter ditt knä med en mjuk och stödjande nätkonstruktion som avlastar patella och absorberar smärtsamma stötar.

Exos® Tech

Individanpassa för perfekt passform.

KONTAKTA DIN PRODUKTSPECIALIST

Dimo Tzotzis

Leg. ortopedingenjör 0706-50 91 41 Blekinge, Kalmar, Skåne Halland, Kronoberg Västerbotten, Norrbotten

Rickard Hanzek Leg. ortopedingenjör 0761-30 57 70 Västra Götaland, Jönköping Gävleborg, Dalarna Västmanland, Värmland Södermanland, Gotland Östergötland

Maria Ottander Leg. fysioterapeut 0703-35 13 41 Stockholm, Uppsala Örebro, Jämtland Västernorrland

Boa® Tech

Knäppning med snörning som skapar dynamisk kompression och ökad komfort.

Claes Esplund Key Account Manager 0709-22 79 77

Hur vet du om ett vin är gott? Smaka på det! Men tänk om det visar sig att du föredrar en chippad chardonnay från Napa framför en sylvass chenin blanc från Loire som förutspås en lysande framtid med ett drickfönster som öppnar sig om uppskattningsvis 20 år – ett vin som kritikerna undantagslöst höjer till skyarna och öser poäng på som vore det snudd på perfektion. Din smörbomb från Kalifornien däremot, får låga poäng.

Hur känner du nu inför ditt amerikanska plonk?

Tycker du fortfarande det är lika gott? Om du inte känner någon skillnad alls så är du kanske inte intresserad av vin eller så har du integritet nog att det alls inte spelar någon roll. I det senare fallet, grattis! För de allra flesta vinintresserade har en period i livet då poäng styr ens val. Åtminstone sträcker sig denna blinda tro så långt att man hellre dricker en 95-poängare än en 85-poängare.

Innan vinkritikern Robert Parker steg in i vinvärlden i mitten av 80-talet fanns inga poäng. Då kallade man sig vinskribent och beskrev viner så långt det lät sig göras och därefter fick var och en avgöra om det var köpläge.

När poäng introducerades hände två saker. För det första bjöds konsumenten en, i ordets rätta bemärkelse, grov förenkling. Vin blev lätt att ”förstå”. 95 poäng är mer än 85 poäng. Därmed bättre och därmed basta.

Men för vin-nörden är poängjakten också ett aber. Vissa skribenter förefaller överlag mer generösa med poäng än andra. Hur ska man tackla detta? Global Wine Score (GWS) erbjuder här en lösning. På deras hemsida slår man upp vinet och årgången och bums får du ett viktat medelvärde som tar i beaktning denna åtskillnad i ”poäng-inkontinens”. Plötsligt kan man jämföra olika viner och årgångar även om en och samme skribent inte haft möjlighet att pröva alla ingående viner.

Det andra som inträffade var att vin kommersialiserades i rask takt. Parkerpoäng avgör än idag ett vins prisutveckling.

Vin Vad är poängen?

En bieffekt av detta är dessvärre att många vinproducenter känt sig nödgade skapa viner som faller Parker på läppen.

Parkers preferens beskrivs ibland som ”big, bold red – they are one glass wines”. Fylligheten i vin samt alkoholhalten bland de mest populära vinerna på Systembolaget har ökat det senaste decenniet. Detta fenomen kallas ibland Parkereffekten.

I vin-nördars bloggar och på olika internetfora syns idag ett trendbrott. Frågan är hur man ska beskriva förändringen. Det är inte längre obligat att ha en Mouton-vertikal (flera årgångar av samma vin, i detta fall Mouton Rothschild) i källaren för att få vara med och diskutera utan ses snarare som ett litet ”handikapp”. Att behöva förlita sig på viner som alltid skapat rubriker och inkasserat höga poäng – prestigeviner – det är helt enkelt för enkelt. Idag letar vi efter individuella uttryck – tradition, ekologiska och inte minst biodynamiska viner för att inte tala om det mest haussade ordet i vinkretsar: terroir. Numera är amforor, prephylloxera-vinstockar och field-blends exempel på esoteriska vin-måsten. Nebbiolo från Mexiko, eller cabernet sauvignon från Indien. Allt som gör vinet unikt. För att inte tala om alla naturviner, men det är en helt annan diskussion. Likt vårt beteende på sociala medier vill vi med vin uttrycka vår särart och då förvandlas plötsligt poäng från potentater som Parker till något konformt och tråkigt.

När jag funderar på poäng idag så brukar jag ofta tänka på den legendariske pre-Parker vinskribenten Hugh Johnson. Han intervjuades i ett radioprogram på BBC och fick frågan om vad han ansåg om poäng. Hans svar var åt det filosofiska hållet. ”It is a complete falsehood. There is no such thing as objectivity. How would you give a score to a play or an opera? Is Tizians Venus a ninetyfiver or a hundred? Try scoring your friends! Wine is a friend to me, I’m not going to treat it in that way.”

Erik Lind Huvudredaktör
Ortopediskt Magasin
Foto: Mostphotos

Turn static files into dynamic content formats.

Create a flipbook
Issuu converts static files into: digital portfolios, online yearbooks, online catalogs, digital photo albums and more. Sign up and create your flipbook.