























Medlemstidskrift för Svensk Ortopedisk Förening och Sveriges Ortopedingenjörers Förening.
Ortopediskt Magasin utkommer 4 ggr/år; vecka 12, 24, 41 och 52. Manus till redaktionen senast sex veckor innan respektive utgivningsvecka.
Ordförande Svensk Ortopedisk Förening Tuna Industriväg 4, 153 30 Järna, tel. 08-550 390 50, fax 08-550 104 09, e-post: sofkansli@ortopedi.se
Redaktion: Huvudredaktör: Överläkare Karin Bernhoff Andreredaktör: Specialistläkare Christian Carrwik Redaktionschef: Linda Linnskog Rudh, tel. 0707-467047 Samtliga nås på e-postadressen redaktionen@ortopedi.se Manuskript skickas till samma e-postadress.
Ortopediskt Magasin, SOF:s kansli, Tuna Industriväg 4, 153 30 Järna, tel. 08-550 390 50 e-post: sofkansli@ortopedi.se Hemsida: www.ortopedisktmagasin.se
Prenumeration: 4 nr 150:- per år för medlemmar. Övriga 250:- per år i Sverige. Övriga länder: 280:- per år. Prenumeration SOF:s kansli, Tuna Industriväg 4, 153 30 Järna, tel. 08-550 390 50 e-post: sofkansli@ortopedi.se
Prenumeration SOIF, e-post: info@soif.se
Annonser: För prisuppgifter, övriga uppgifter eller annan information, samt bokning av annonser: Erik Lind, i första hand e-post: annons@ortopedi.se. Telefon: 08-550 390 50 vid brådskande ärenden. Bokning senast fyra veckor innan respektive utgivning. Lämning av annonsmaterial senast tre veckor innan respektive utgivning.
Rabatt 10% vid bokning av fyra annonser samtidigt. Upplaga: 2.000 ex.
Tryck: Printall AS, Estland Nr 3, 2022. ISSN 0349-733X.
Omslagsbild: Christian Carrwik
Så blev det äntligen möjlighet att få mötas på en efterlängtad Ortopedivecka. Hela arrangörsgrup pen tackas ännu en gång innerligt för ett fantas tiskt väl genomfört möte. I samband med veckan hölls sedvanligt mötet för verksamhetschefer och professorer. En mycket angelägen programpunkt belyste en av ödesfrågorna för ortopedins framtid och för övrigt hela Sveriges sjukvård.
Hur kan vi ta gemensamt ansvar för ortopedin i Sverige? var frågan. Företrädare presenterade olika situationer av nuläge och möjlig framtid. Aktuellt läge självklart präglat av rådande sena fas av pandemin och nedpri oritering av ortopedisk kirurgi. Tvivels utan är kärnuppdraget att diagnostisera och behandla enligt vetenskap och beprövad erfarenhet – den med störst vårdbehov först! Inledningsvis illus trerades komplexiteten av allt som tillkommit utöver kärnuppdraget. Konsekvenser har bland annat blivit: svårigheter att ta hand om både elektiva och akuta flöden, sämre tillgänglighet, försämrad forsknings- och utbildningsmöjlighet, dränering av kompetent personal och rekryteringssvårigheter. Dessvärre har de med störst vårdbehov, de multisjuka och äldre, blivit de som fått sämst möjlighet att få vård, inte minst genom att färre kan bidra i jourverksamheten.
Hur ser vårt gemensamma ansvarstagande ut? En nationell handlingsplan behövs och denna håller på att tas fram gemensamt på initiativ av NPO. Målet är att se den samlade ortopedin som en gemensam nationell resurs, att se offentliga och privata verksamheter som kompletterande hellre än konkurrerande. Med det följer otvetydigt kravet att åta sig ett väldefinierat utbildnings-, forsknings- och jouransvar. Viktigt är att låta den regionala sjukvården behålla ansvaret för en tillräckligt stor andel patienter och medarbetare för att kun na klara sina uppdrag på både kort och lång sikt. Det behövs konkreta förslag på hur forsknings- och utbildningssamarbete mellan offentliga och privata aktörer tas fram. Allt detta be höver vila på ett transparent nationellt prioriteringssystem.
Det råder en stor enighet om att mycket behöver göras och många är villiga att kavla upp för våra patienters bästa. En obekväm fråga kryper dock närmare, vad ska vi inte göra?
Med ändliga resurser parallellt med större möjligheter och ökande krav blir ekvationen alltmer omöjlig att lösa. Dessvärre kan detta utgöra en grogrund för verksamhet i utkanten av det seriösa. De med minst vårdbehov erbjuds, utan egen avgift, virtuella besök i närmast obegränsad mängd. Den egenvård människor kan ta ansvar för själva och helt gratis dränerar, un der samma tid som prioriteringsarbetet pågår, stora delar av vår sjukvårdsbudget. I andra sammanhang kan man lätt plocka russinen ur kakan utan ansvar för helheten. Lite obekvämt är det att påminnas om att pengar är drivkraften i all prostitution, oavsett bransch. Det etiska ansvaret vilar tungt på den som förestår och driver verksamheter likt dessa för egen vinnings skull.
Hur kan vi ta gemensamt ansvar för ortopedin?
Frågan om vad vi inte ska göra skaver men måste med all nöd vändighet lyftas. Noterar i min egen verksamhet hur obekväma vi blivit i beslut om begränsad livsuppehållande behandling. Detta även då det är uppenbart att livet håller på att rinna ut och vi förlänger månne lidande mer än ett värdigt liv. Denna metafor för att vi inom en snar framtid kommer att befinna oss i det läge att alla inte kommer att kunna erbjudas allt.
Låt oss gräva där vi står, rensa den egna rabatten från vidrigt ogräs och återvända till kärnuppdraget där den med störst be hov faktiskt är den som erbjuds vård först. Dit kan vi nå genom samverkan med gemensamt ansvar.
Birgitta Ekstrand ansvarig utgivare och ordförande Svensk Ortopedisk Förening
7-53 Tema: Ortopediveckan i Malmö 2022
Invigning Instruktionskurser
Ortopedexamen
Frakturinfektioner Frakturprevention Amputation Ortopedmilen Get Together Verksamhetschefsmötet Delföreningarnas förmiddag Psykosocial ortopedi Epiphysen på Ortopediveckan Fotkirurgi Distala radiusfrakturer Klavikelskador
Folkhälsa och skadeprevention Bästa poster Bästa fria föredrag SOFs årsmöte Fotledsfrakturer Framtidens sjukvård Höftdysplasi Banketten Skottskador Höft- och knä Innovation
SOIF Bättre fothälsa vid diabetes
En stabil och smidig fotledsortos som kan användas för både akuta skador och kronisk instabilitet. Den nya generationens Aircast fotledsortos anpassas med hjälp av en avtagbar lateral skena och följer patienten under behandlings- och rehabiliteringsfasen.
• Akuta fotledsdistorsioner
• Laterala ligamentsbristningar
• Kronisk fotledsinstabilitet
• Tre integrerade remmar ger proprioceptiv feedback, stabiliserar fotleden och begränsar rörelseomfånget.
• Avtagbar sidoskena gör det möjligt att modifiera stödet för användning i både akuta och kroniska skadefaser
• Låg profil. Passar i de flesta skor och träningsskor och kan bäras över en strumpa för extra bekvämlighet
• Kan öppnas helt för att kunna tas på enkelt och säkert
• Korsad rem bidrar ytterligare till att minimera risken för fotledsstukning
Maria Ottander Leg. fysioterapeut 0703 35 13 41 maria.ottander@enovis.com Stockholm, Uppsala, Örebro Jämtland, Västernorrland Västerbotten, Norrbotten
Claes Esplund Key Account Manager 0700 29 45 55 claes.esplund@enovis.com Södermanland, Gävleborg Västmanland, Kalmar Gotland
Rickard Hanzek Leg. Ortopedingenjör 0761 30 57 70 rickard.hanzek@enovis.com Västra Götaland, Jönköping Halland, Kronoberg Dalarna, Värmland Östergötland
Skåne
Så var då äntligen en fysisk ortopedivecka i gång. Som vi längtat! Kl 13.00 på tisdagen fick mötes general My von Friesendorff äntligen hälsa alla välkomna till Malmö.
Konferencier Anna Braun presenterade rappt och humoristiskt invigningstalarna. My klippte band och lämnade lite praktisk information om mentimeter och dialogfunktionerna i mobil-appen. (Som för övrigt fungerade utmärkt).
Invigningstalen som var föredömligt roliga och korta hölls av Malmö stads kommunfullmäktiges ordförande Carina Nilsson och Camilla Mårtensen, ordförande Skånes Universi tetssjukhus.
Carina hade just jobbat med ”snubbelstenar” (monument för att minnas förintelsen), men förstod att det lät mindre bra i ett ortopediskt sammanhang. Camilla berättade att man denna vecka uppmanat invånarna i Malmö att undvika el-sparkcykel med förklaringen att alla ortopeder i landet är på kongress.
Nästa talare var Jenny Wingestrand, nytillträdd men inte desto mindre stolt verksamhetschef för ortopedkliniken i Malmö. Hon framförde sitt varma tack till sina medarbetare och veckans organisationskommitté.
Efter dessa tal tog Anna Braun micken och började inter vjua publiken. Olika deltagare attackerades med frågor och fick berätta varifrån de kom och varför de var där. När hon fick tag i en lite blyg sjuksköterska kände alla att det blev lite pinsamt, men överraskningen lät inte vänta på sig. Den blyga människan började plötsligt sjunga och ur publiken reste sig en damkör, Malmö Lime-light chorus, som svängigt fram förde barbershop-tolkningar av ABBA, Kent, Chess och Laleh. Ståpäls och njutbar musikalisk underhållning.
Även i den professionella kovärmen får man inte glömma omvärdsproblemen och inledningstalare Johan von Schreeb, professor i global katastrofmedicin, beskrev hur man job bar i katastrofer. Som allmänkirurg har han gjort det mesta vid naturkatastrofer, i krig och elände. Han beskrev olika katastrofers olika behov, men att ortopeder sannerligen kan behövas. Han uppmanade starkt fysioterapeuter och rehabi literingskunniga att starta en organisation för katastrofmedicinsk rehabilitering – ett skriande behov som han iden tifierat genom sitt långa yrkesliv.
Invigningen avslutades med en uppmaning till Göteborgs professorn Ola Rolfsson att springa ortopedmilen trots att han glömt träningskläderna hemma. Han fick av Anna Braun en hel olympisk outfit och kunde således genomföra loppet. En snygg passning till 2023 års ortopediveckas arrangörer i Göte borg att ta över stafettpinnen och springa vidare. Invigningen bjöd på en underhållande start på en fantastisk vecka!
Under Ortopediveckan i Malmö genomfördes flertalet uppskat tade kurser riktade till ST-läkare, specialister och sjuksköterskor.
Kurssessionerna började redan på måndagen med ST-kurser na Barnortopedi för ST-läkare och Artros- och Endoproteskirurgi. Dessa ST-kurser har funnits i flertalet år men inför 2022 fått nya upplägg. Deltagarna har under våren haft digitala moment och kom till Malmö för att slutföra kurserna med fysiska föreläsningar, gruppdiskussioner och praktiska moment. Link och Zimmer Biomet höll i en mycket uppskattad workshop under tisdagen i Artros- och Endoproteskursen där deltagarna fick öva på att sätta primärprotes i knä och höft samt träna cementeringsteknik. Barnortopedikursen avslutades med en tentamen under fredagen. Då de båda ST-kurserna haft moment under våren med bl a instuderingsuppgifter uppfylldes hela delmål vilket uppskat tades av ST-läkarna som gick kurserna.
Instruktionskurserna började på måndag eftermiddag med Avancerad gipskurs där drygt tio deltagare fick lära
sig att göra två olika syntetgipsstövlar samt geishasko i combi cast. Deltagar na var en blandning av olika yrkeskatego rier som alla förenades i sin iver att lära sig mer om avancerade gipstekniker.
På tisdagen genomfördes tre klassis ka workshops i frakturkirurgi. Magnus Tägil, SUS Lund, höll med stöd av Zimmer Biomet en kurs i handleds frakturer där volar plattfixation lärdes ut. Deltagarna var engagerade och den uppskattade föreläsningen följdes av en gruppdiskussion som engagerade hela auditoriet. ST-läkaren Maria Ström, SUS, kommenterar ”Det var väldigt bra att få öva på osteosyntes i lugn och ro”. I grannsalarna pågick märgspikning under ledning av Per Bosemark, SUS Lund. Det fanns ett flertal stationer att välja mellan beroende på vilken kunskapsnivå deltagarna befann sig på. Workshopen bestod av antero- och retrograda femurspikar samt tibiaspi kar. Mattias Callreus, SUS Malmö, höll i en workshop i fotfrakturer som innehöll fixation av mellanfotsfrakturer inklusive LisFranc-skada.
En trappa upp höll professor Martin McNally från Oxfordinstruktionskursen Local treatment of osteomyelitis with
antibiotic containing bone substitute, i samarbete med Bonesupport. Här fick deltagarna lära sig behandling av olika typer av skelettinfektioner samt an vändning av bencement med antibio tika. Många av deltagarna arbetar inom området vilket ledde till att en beri kande gruppdiskussion. Workshopen innehöll även praktiskt moment med cementblandning.
Under ledning av Jörg Schilcher, US Linköping och Peter Wildeman, Örebro genomfördes en kurs i höftrevision i samarbete med Link. Deltagarna fick träna på att hantera rekonstruktionsprotes på femur och acetabulum. En uppskattad del av kursen var de garagebyggda acetabulum-modellerna i plast utblandat med träfibrer. Mod ellerna var baserade på riktiga patienter och tack vare den speciella material sammansättningen återskapades en autentisk situation.
Anette Jönsson, ST-läkare Victoria Kellerman, Fysioterapeut Jesper Kraus Schmitz, Biträdande överläkare
Samtliga VO Ortopedi, SUSErik Jansson Palmer. LisFranc. Therese Bergström. Thomas Edhager och Henning Fernström. Foto:
Den praktiska delen av Ortopedexamen genomfördes som vanligt på måndagen innan själva Orto pediveckan startade. Totalt 23 nervösa examinander infann sig i ottan på ortopedmottagningen på Malmö Universitetssjukhus. Nästan lika många examinatorer hade också letat sig dit.
Malmös lokale examensgen eral Ammar Jabory hade i samarbete med SOFs utbild ningsansvariga Anne Garland satt ihop ett väloljat maskineri som i rask takt lät de examinerade passera totalt fyra olika stationer.
Examen i år bestod av två patientstatio ner och två praktiska stationer. Patient stationerna utgjordes av rygg- respektive höftfrågeställningar och examinan derna avkrävdes god anamnes, trevligt bemötande, ett fullvärdigt status samt återkoppling till patienten med förlag på diagnos och behandlingsförslag.
De två praktiska stationerna utgjordes av ett fullständigt handstatus på en försöksperson och sen en riktigt praktisk övning i sen-sutur-teknik. På den senare stationen examinerades förmågan att sprita händerna, ta på sig sterila handskar, hantera instrument likväl som själva suturtekniken. Ett poäng tilldelades också den som på ett säkert sätt hanterade nål och vassa föremål efter att skadan var lagad. En klippt repstump agerade sen-ruptur. Det som stressade de flesta mest var tiden det tog att låta spriten torka på händerna innan handskarna kunde dras på.
Av alla som gick upp i examen klarade sig 19 av 23 direkt. Ett par examinander avkrävs vissa kompletteringar på hemmaplan innan godkännande. En handfull deltagare var återvändare som gick upp för andra gången och dessa hälsades särskilt välkomna åter.
Som vanligt är det brister i statusgenomförande som får examinander på fall. Bristande systematik, dålig expo nering av den undersökta kroppsdelen och missade självklarheter i undersökningen är sådant som leder till ”Icke-godkänd”. Handledare och specialister runt om i vårt land uppmanas till sit-ins och att inte slarva med status-övningar för våra utbildn ingsläkare.
SOF bjöd årets examinander och examinatorer på en kulinarisk kväll med otrolig utsikt över Malmö på Kasai in the sky. SOFs utbildningsansvariga Anne Garland höll med visst vemod sitt sista tacktal till de församlade då hon nu lämnar över stafettpinnen till Chris tian Carrwik från årsskiftet.
Stort grattis till alla modiga examinander! Man blir klokare efter ett stål bad som Ortopedexamen – faktiskt.
Ortopedexamen, som anord nas av SOF årligen sedan 1986, består av en skriftlig och en muntlig del. Den skriftliga delen hålls i mitten av mars och ten tan skrivs digitalt på hemorten eller närmaste större sjukhus.
För att kunna delta krävs, förutom medlemskap i SOF, att man är specialistläkare i ortopedi alter nativt att arbetsgivaren intygar att man har fullgjort och har kunskaper motsvarande fyra års ST-tjänstgöring.
För att få gå upp för muntan krävs god känd provskrivning (inom de senaste fem åren) samt att vid anmälan ha erhållit specialistbeviset från Socialstyrelsen. Att skriva Ortopedexamen är frivilligt men uppmuntras av många ar betsgivare, flera kliniker erbjuder också inläsningstid inför den skriftliga delen. SOF rekommenderar ett lönepåslag om 1500 kronor/månad för de som godkänns på Ortopedexamen.
Jag blev färdig specialist hösten -21 och hade turen att ha flera ST-kollegor som blev klara ungefär samtidigt. Det kändes både lättare och roligare att plugga ihop, så vi anmälde oss och bad om att få schemalagd inläsningstid veckan inför tentan. Jag hade myck et ambitiösa planer om att börja plug ga i god tid men förutom att lyssna på samtliga avsnitt av Ortopodden (tack Malin Zimmerman!) läste jag i stort sett ingenting innan den planerade
inläsningsveckan. Det var en aning ovant att tentaplugga igen, tio år efter läkarexamen, men också kul och det ledde till en och annan aha-upplevelse. Vi gick främst igenom tidigare tentor, men försökte även med den något tvivelaktiva metoden att lista ut vad som skulle frågas om. Förutom årets avhandling (som typiskt nog var två i och med att Ortopediveckan 2020 ställdes in) läste vi också in oss på det nya vårdprogrammet för distala radiusfrakturer och bläddrade i gamla nummer av OM.
Tentan skrevs 18 mars och det frågades faktiskt om såväl DRF som årets avhandling. I övrigt var det en stor spännvidd och frågor om allt från acetabulums zoner till statistik och läkeme del som ska sättas ut eller inte inför op. Därefter väntade ett antal nervösa dygn med löpande uppdateringar om rättningen innan vi fyra dagar senare fick skrivningsresultaten.
Den muntliga examinationen hålls traditionsenligt under Ortopediveckans första dag och avslutas med att SOF bjuder examinander och examinator er på middag. Vi visste inför muntan att den skulle bestå av två patientfall och två praktiska stationer och rekom mendationen från SOF var att repetera strukturerat status. Jag gick igenom de statusfilmer som finns på SOF:s hemsida och lärde mig äntligen hur ett ordentligt axelstatus görs.
På förmiddagen 29 augusti samlades ett antal nervösa examinander på
... och de minst lika lyckliga examinatörerna.
Ortopederna Ammar Jobory och Jesper Kraus-Schmitz hälsade välkomna, tog våra mobiltelefoner och informerade om det minutplanerade schemat där vi skulle slussas mellan olika stationer med hjälp av visselpipor. De två pa tientfallen var i år en rygg- respektive en höftpatient som kom på remiss från primärvården med genomförd radiologi. De praktiska momenten bestod av att suturera en extensorsena på akuten (ett avskuret spännband i gummi) samt att utföra ett fullständigt handstatus. Varje station bedömdes av två examinatorer.
Efter att vi examinander grillats i totalt 90 min vardera träffades examinatorerna för gemensam bedömning. En dryg timme senare återsamlades vi för att få resultaten. SOF:s Anne Garland höll ett kort tal innan vi togs in enskilt och beskedet att ett fåtal examinander underkänts minskade inte direkt nervo siteten i gruppen.
Betydligt mer avspänd stämning blev det på kvällens firande på Ka sai in the sky, 14 våningar upp med utsikt över Malmö. Det åts god mat, dracks gott vin, hölls tal och skålades för allas prestation. Stort tack till SOF, alla examinatorer och personalen på ortopedmottagningen Malmö för ett riktigt bra arrangemang!
Slutligen, nu när jag vet vad det innebär, skulle jag göra det igen? Med förbehåll att svaret färgas av att jag är nu godkänd, definitivt ett ja! Det har varit ett tillfälle att läsa på och repetera,
och jag har lärt mig en hel del. Att göra Ortopedexamen känns också som en passande avslutning på ST och att jag nu kan gå vidare som specialistläkare. Jag vill också ta tillfället i akt att tacka min ST-handledare och alla andra se niora kollegor på såväl ortopedkliniken Sahlgrenska universitetssjukhuset som på externa randningar. Tack för under visning, stöttning och framförallt svar på alla frågor under åren som ST-läkare!
Sara Brandt Knutsson Specialistläkare Ryggteamet, Ortopedkliniken Sahlgrenska universitetssjukhusetOrtopediveckans första sympo sium handlade om frakturrelaterade infektioner (FRI). Infektion er efter frakturkirurgi har i många fall varit styvmoderligt handlagda och kunskapen om såväl diag nostik som behandling har varit bristfällig.
Allt fler ortopeder börjar dock få upp ögonen för denna vanliga och allvarliga komplikation och syftet med detta symposium var att bidra till ökad kunskap och därmed bättre handlägg ning. Det gynnar i första hand våra patienter men också sjukvården och samhället som helhet eftersom resolut och bra behandling innebär färre op erationer och vårddygn samt snarare återgång till hälsa och arbete.
Inbjuden föreläsare var professor Martin McNally som leder skelettinfek tionsenheten i Oxford där han tillsam mans med sitt tvärprofessionella team mycket framgångsrikt har behandlat ett stort antal patienter med svåra skel ettinfektioner.
Professor McNally deltog i arbetet med att ta fram den definition av FRI som publicerades 20181 och som snabbt har spridits runt om i världen och skapat förutsättningar för kvalitativ forskning. I sin förra presentation på symposiet pratade han om de diagnos tiska kriterierna för FRI: fistel eller sårruptur ner till implantat, samma bakterieväxt i minst 2 vävnadsprover, • var från såret eller • histologisk bild som överensstämmer med infektion.
Vidare finns ett antal kriterier som bör väcka misstanke om infektion och bland dessa finns kliniska symptom, förändringar på röntgen, förhöjda inflammationsparametrar och ökat sårläckage. Han poängterade vikten av att ta adekvata odlingar och att an vända rena instrument för varje enskilt prov som tas.
Han redovisade forskningsresultat som visar att Staphylococcus aureus är
den vanligaste patogenen vid FRI oav sett tid efter operation2 och utmanade uppfattningen om att det inte är lönt att göra en så kallad DAIR-operation (Debridement, Antibiotics and Implant Retention) när det har gått över en månad från operation.
Albert Christensson, traumaortoped från Uppsala Akademiska sjukhuset, var näste talare och belyste problemet med FRI så som det ser ut till vardags på våra svenska ortopedmottagningar. Han beskrev ett behov av bättre omhändertagande efter operation. Att förnekelse behöver ersättas av uppmärksamhet, passivitet ersättas av akti vitet, självsäkerhet med ödmjukhet, och skuldkänsla med stöd och uppmuntran.
Vidare pratade han om vikten av kontinuitet och strukturerad handlägg ning av kunnig personal. Han lyfte fram möjliga risker med att okritiskt tillämpa definitionen av FRI i vardagen, vilket skulle kunna leda till explorationer av frakturer när det inte föreligger en FRI utan normal inflammation i skadad vävnad och/eller en ytlig infektion. Inför beslut om exploration rekommend erade Albert att följande tre faktorer övervägs:
1) har infektionen startat ytligt och förefaller den fortfarande vara begrän sad till ytan?
2) är explorationen helt nödvändig eller riskerar den att skapa en svårbehand lad mjukdelsdefekt?
3) försätter en fördröjning av en explo rationen patienten i ett försämrat läge?
Till slut påminde Albert om att inklud era energi-nivån i bedömning av öppna frakturer och att alla högenergiskador är grad 3 i Gustilo Andersen-klassi fikationen, oberoende av hur litet eller snyggt såret är.
Professor Martin McNally fortsatte med en föreläsning om behandling av kroniska FRI och berättade om det arbetssätt som så framgångsrikt har utvecklats i Oxford. Han betonade vikten av multidisciplinär behandling av FRI och ett behov av nära samarbete mellan ortoped, infektionsläkare, plas tikkirurg samt övriga personalkategorier som tillsammans bildar ett team. Inför
kirurgi måste patientens allmäntill stånd optimeras så gott det går genom till exempel rökstopp. Inför operation ska det vara ett antibiotikafritt intervall och så snart som möjligt ska vävnadsprover tas för odling och histologi. Det som är ”dött” kan inte återupplivas och därmed måste all sekvester avlägsnas liksom de mjukdelar som inte är viabla.
De bendefekter som uppstår klas sificeras utefter storlek och hanteras utefter ett protokoll. McNally och hans team använder ofta antibiotikainnehål lande benersättningsmedel bestående av calciumsulfat och hydroxyapatit vilket ger lokalt hög antibiotikakoncen tration.
Rekonstruktion med Ilizarov-ramar används mycket för att uppnå stabi litet under läkningstiden. För att täcka mjukdelsdefekter och kunna stänga såret primärt används olika lambåer med hjälp av plastikkirurger. Breds pektra antibiotikum används initialt men bytes till riktad behandling så snart som odlingssvar föreligger och i England pågår studier som jämför intravenös med per oral behandling. McNally visade imponerande resultat från en patientserie bestående av 100 patienter som har följts under 6 år.
Rekonstruktion med Ilizarov-ramar används för att uppnå stabilitet under läkningstiden.
Siste föreläsare var Johan Tham, infek tionsläkare vid Skånes universitetssjukhus och utbildningsansvarig inom svenska infektionsläkarföreningen. Han pratade om antibiotikabehandling vid FRI och började sin föreläsning med att citera Aristoteles och lyfte fram den grekiska termen ”Phronesis” som kan översättas som praktisk klokhet eller vishet. En egenskap som är helt central för att i ofta komplexa situationer använda antibiotika så det blir till gagn för patienten.
Johan beskrev de olika verkningsme kanismer som antibiotika har, samt
hur resistensutveckling kan gå till. De antibiotika som används vid FRI kan ge allvarliga biverkningar, interaktioner med övriga läkemedel måste beaktas och det krävs noggrann övervakning av patienter som behandlas för FRI. Liksom andra talare betonade Johan vikten av teamarbete.
Sammanfattningsvis så var det ett my cket lärorikt symposium och åhörarna förhoppningsvis rustade för ett bättre omhändertagande av patienter med sårkomplikationer och infektioner efter frakturkirurgi.
1. Metsemakers et al. Fracture-related infection: A consensus on definition from an international expert group. Injury. 2018 Mar;49(3):505-510.
2. Corrigan et al. Causative Pathogens Do Not Differ between Early, Delayed or Late Fracture-Related Infections. Antibiotics (Basel). 2022 Jul 14;11(7):943.
Anna Stefánsdóttir Ortoped Skånes universitetssjukhusThe AllPro XTS combines the AllPro performance you have come to expect with an even smoother rollover and forgiveness on rough terrain or around town. The XTS unit provides adjustable torsion and vertical shock reduction without sacrificing build height.
Med utgångspunkt i den Hip pokratiska eden: Jag ska före bygga när det är möjligt efter som det gagnar patienten bäst*, torde det vara självklart att arbeta förebyggande även inom frakturvården. Detta görs redan inom andra sjukdomsområden eftersom förebyggandet av en händelse alltid är bättre, både avseende hälsoekonomi och för den enskilda patienten.
Symposiet om sekundärpre vention av fraktur tog avstamp i detta när förläsarna genom att ta upp olika delar i det frakturförebyggande arbetet, gav både goda och avskräckande exempel. Föreläsningen avslutades med informa tion om de nyare anabola läkemedlen och vad vi i framtiden kan vänta oss av dessa.
Genom att utgå från en patient med höftfraktur (slutenvårdspatient) och en patient med radiusfraktur (öppenvårdspatient), presenterades byggstenarna i det nyligen implementerade ’Vård förlopp för osteoporos’ och sekundär prevention av fraktur. Vårdförloppet definierar de olika momenten i en frakturkedja och den avgörande roll frakturkoordinatorn har. Under före draget pointerades också vikten av den lokala anpassningen.
Anna Holmberg beskrev hur arbetet med implementeringen bedrivs inom region Skåne. För att illustrera ett framgångsrikt arbete med en system atisk frakturkedja, berättade Anders
Olofsson hur man gjort i Helsingborg. Anders betonade vikten av en frakturkoordinator, eller snarare, vikten av att minst två delar arbetet. Inte bara för att ge bättre förutsättningar för kompetensutveckling och diskussion, utan också för att täcka för varandras ledigheter.
För en jämlik sjukvård kan frakturpre vention inte längre drivas av ’eldsjälar’, utan måste vara någonting alla inom ortopedin uppmärksammar och arbetar för. Vidare fick vi ta del av den glädjande nyheten att andelen som får läkemedelsbehandling ökat, samt information om den värdefulla kunskap frakturregistret bidrar med och hur denna kan användas.
Frakturpatienterna berör inte bara ortopedin. Det geriatriska perspek tivet täcktes av Linnea Malmgren, som genom att utgå från ett patientfall fick oss att förstå vilka läkemedel som är mindre lämpliga för den åldrande människan och kan leda till ökad fallrisk, men också hur vi genom att ha uppmärksammat patientens index fraktur – en radiusfraktur – hade kunnat minska risken för de smärtsamma kot kompressioner patienten led av under sina sista år.
Frakturer är en konsekvens av nedsatt hållfasthetsegenskaper i skelettet och fall. Att undvika fall genom olika typer av träning belystes av Eva Ekvall Hans son, professor i fysioterapi, som visade den evidens som finns för vilken typ av träning som minskar fall och frakturrisk. Därefter följde information om osteo porosskolan. Denna patientutbildning, ledd av fysioterapeuter i primärvården, utvecklades vid SUS.
Sist men inte minst, gav professor Bente Langdahl från Århus en översikt över hur skelettanabola läkemedel verkar och hur senaste forskningen lett till nya terapeutiska möjligheter såsom sekventiell behandling. En aspekt av särskilt intresse inom ortopedin är om dessa läkemedel kan positivt påverka frakturläkning. De studier som hit tills är gjorda visar således inte något konklusivt svar och data antyder inte att frakturläkning stimuleras av det se naste läkemedlet, romosozumab, utan snarast behövs fler välgjorda studier.
* I will prevent disease whenever I can, for pre vention is preferable to cure.
Kristina Åkesson Professor, Överläkare VO Ortopedi Skånes Universitetssjukhus Malmö Linnea Malmgren PhD ST-läkare inom geriatrik Skånes universitetssjukhus MalmöPå tisdag eftermiddag under Ortopediveckan i Malmö organise rades ett symposium med titeln ”Amputation – från operation till funktion”. Patienter som genomgår benamputation förbises tyvärr ibland, trots att de utgör en relativt stor del av akutverksamheten.
Detta symposium som syftade till att lyfta intresset runt patientgruppen mo dererades av Hedvig Örneholm och Therese Jönsson.
Kerstin Hagberg, fysioterapeut och docent, Sahlgrenska Uni versitetssjukhuset Göteborg, inledde symposiet med att berätta om SwedeAmp som är ett am putations- och protesregister för nedre extremiteten. Det är ett tvärprofessio nellt nationellt kvalitetsregister som följer patienten genom hela vårdförlop pet, vilket är unikt. Patientgruppen är generellt gammal och skör med 31% mortalitet vid 12 månader efter senas te registrerade amputation. Ju högre amputationsnivå desto högre mor talitet, där vi ser 26% mortalitet inom 12 månader vid transtibial amputation och 42% vid transfemoral amputation.
Tid från amputation till underbensprotes kan ses som ett mått på effektiv vårdkedja. Där visar registret att tiden har minskat under årens lopp, nu är det i mediantid 58 dagar från transtib ial amputation till provning av första protes. Vid sagitell eller skew-lambå är
mediantiden 19 dagar kortare än vid bakre/främre eller lång posterior lambå.
Direktlaminerade hylsor dominerar vid protesutprovning. Detta ger ett snab bare förlopp då protesen går att börja använda redan vid samma besök.
Därefter pratade Stefan Sanfridsson, ortopedingenjör TeamOlmed Motala, Johanna Karlsson, fysioterapeut Hässle holm, samt Lina Sjödin, specialist i ortopedi Södersjukhuset, om amputa tionsprocessen. Hur man organiserar sitt patientflöde ser lite olika ut i landet, på Södersjukhuset har man t ex infört en dag i veckan där amputationer planeras in. Oavsett olika organisationer gäller det att ha ett bra samarbete mellan professionerna för att få till en bra pro cess och bra rehabilitering för patienten.
Som avslutning på denna program punkt fick vi träffa två protesanvändare. Mattias Jönsson är multisportare och
underbensamputerad efter en skärmflygolycka som ledde till svåra skador i ena foten. Efter flertalet operationer i foten, som aldrig blev riktigt bra, valde han själv att ta upp frågan om amputation. Under sitt föredrag visade han en film med vad han gör, bl a hoppar fallskärm, fridyker, springer löplopp samt hop par studsmatta. Han berättade väldigt levande om hur han nu kan leva sitt liv i stort sett som han vill och göra vad han vill. Han berättade också att en av hans mål är att visa upp vad som är möjligt att göra, det finns nästan inga begränsningar.
Den andra protesanvändaren, Håkan Thuresson, är lite äldre och blev under bensamputerad till följd av diabetes fotsår. Han beskrev hur fysioterapeuten som mötte honom efter amputationen på avdelningen gjorde ett bra jobb med att möta honom på hans nivå och sinnesstämning. Håkan beskrev också hur han fått ett bra bemötande genom hela vårdkedjan, både under tiden fram till amputationen och efteråt.
Att arbeta med denna patientgrupp är både intressant och stimulerande. För den som är intresserad rekommend eras att gå in på SwedeAmps hemsida, www.swedeamp.com, där finns mycket bra information och där finns också den senaste årsrapporten. Det finns i dagsläget inget nationellt vårdprogram för amputation. Flera kliniker eller re gioner har dock lokala vårdprogram och några av dessa kan man också hitta på hemsidan.
Till alla er som registrerar i SwedeAmp vill jag säga tack! Och till er som inte kommit igång än, hör av er till styrgrup pen. Kontaktuppgifter finns på hem sidan. Vi hjälper er gärna att komma igång med att registre ra i SwedeAmp.
Hedvig Örneholm Specialistläkare ortopedi Skånes Universitetssjukhus– Jag glömde stoppa klockan så jag vet inte riktigt vad sluttiden blev.
Men det vet vi. Matilda sprang in på hut lösa 41,14.
– Förra gången jag sprang kom jag fyra, då hade jag en skada, men nu kände jag mig i god form. Jag sprang i en bra klunga och vi hjälpte varandra att dra. Vi höll dessutom på att springa fel allihop, men då hjälpte oss förbipasserande och pekade rätt.
Ortopedmilen, denna happening som samlar många hugade att slå sitt personbästa. Och kanske, om man har tur, även den där kollegan som man vet löptränar i smyg, Årets Ortopedmil var platt som en pannkaka och inte fullt 10 kilometer utan 9,5.
Och för den som hade tänkt springa loppet, men sedan ändrade sig, fanns genast en lösning. Ola Rolfson, profes sor på Sahlgrenska, hade "glömt" sina träningskläder och fick komma upp på scenen och motta ett set med shorts, tröja och löparskor från konferencieren Anna Braun. Kläderna passade perfekt och Ola kunde springa in på den förtjänstfulla tiden 50,02. Tur att materielhjälpen var nära!
I herrklassen sprang Jens Nilsson, ortopeden i Lund, in på första platsen med den finfina tiden 33,39.
Jens har varit pappaledig och delar med sig av det hemliga träningsknepet: springa med barnvagn. Hela familjen stod vid målgången och tog emot med grattiskramar.
– Det här är nog mitt personbästa, skulle jag säga. Men det var var varmt och jobbigt, dessutom höll även jag på att springa fel och tog en extra liten runda, men det gick ju bra, säger han.
När Ortopedmilens alla deltagare hade sprungit i mål drog sig många ner mot Malmö central och restaurangen Studio Meetingpoint. Där hade en läcker plockmatsbuffé och gott att dricka dukats upp.
På tisdagen innan invigningen träffades Sveriges professorer, studierektorer och verksam hetschefer för dialog med SOF. Mötet var välbesökt och det var svårt att få sittplats.
Svensk ortopedisk förenings ordförande Birgitta Ekstrand välkomnade Hans Hjelmqvist från SLS som via länk berätta de om sällskapets fortbildningsarbete. Det efterfrågades om SOF har en egen fortbildningspolicy, något styrelsen ska titta närmare på om det är möjligt att ta fram.
Därefter vidtog ”Samverkan mellan det privata och offentliga: Ett gemensamt ansvarstagande för ortopedin i Sverige”. Magnus Eneroth, NPO-leda mot, Helena Brisby, professor GU, Mats Salemyr, VD, Ortho Center Sthlm och Emma Spak, SKR, modererade av Anne Garland problematiserade kring att till exempel 40% av alla elektiva knä- och höftproteser som opereras idag görs inom den privata sektorn. Hur ska vi kunna hitta bra samarbeten mellan of fentliga och privata aktörer för att främ ja fortbildning, utbildning, kvalitet och tillgänglighet. Många bra exempel finns och SOF inbjuder till fortsatt dialog. NPO har tillsatt en arbetsgrupp som kommer arbeta vidare med frågan.
En stor del av mötet handlade om den snart förestående starten av ST-sko lan. Planeringen har kommit långt i kulisserna under pandemin och skolan räknar med att komma igång redan under 2023. Anne Garland, utbildningsansvarig för SOF, Ola Rolfsson, rektor och Kajsa Thulin, prorektor berättade hur det hela är tänkt att fungera. Kursutbudet för ST-läkare ska styras av efterfrågan. Ett tänkt curriculum pre senterades på mötet och alla delfören
ingar har redan utsett potentiella kursgivare. SOF kommer att adminis trera kurserna, anmälningar mm och kallar ST-läkare när det är dags för kurs. Verksamheterna behöver bara anmäla och betala.
Informationen om ST-skolan togs emot med öppna armar och applåderades. Några enstaka frågor kring hur vissa praktiska moment ska lösas dök upp, men generellt uppfattades satsningen som mycket välkommen av auditoriet.
När ändå utbildning var på tal så gick Anne igenom resultaten för ortopedexamen där 21 av 23 godkändes på den praktiska delen utan kompletter ing. Hon riktade en stark uppmaning att fortsatt jobba på statusträning. Patientstationerna med höft- och rygg-undersökning lämnade även i år en del att önska.
Ostrix, representerad av Anna Thols son höll ett inspirationstal om handled ning. Hon informerade om vikten av kontinuerlig, daglig, klinisk handled ning. Utbildning och handledarutbildningar är en bra början. I före skrifterna för BT/ST från 2021 krävs en strukturerad skriftlig utvärdering av handledningen. Således uppmanade hon oss alla att vara beredda och redo eftersom kraven skärps. De konkreta förslag som hon nämnde för att öka medvetenheten kring detta var: Skicka studierektorerna till Ortopediveckan. Ge handledare och adept tid till planering och handledning.
Birgitta Ekstrand tog vid och berät tade om SOFs projekt ”SOF vill kom ma till er”: Vad gör SOF egentligen? Ambitionen är att möta alla kliniker, SOFs styrelsemedlemmar ska försöka besöka alla kliniker för att informera om föreningen men kanske framför allt
lyssna in vad medlemmar och verksam heter tycker är viktiga frågor. Turnéplan håller på att utformas, region för region. Auditoriet hälsade SOF-styrelsens ledamöter varmt välkomna att hälsa på.
Helena Brisby, professor i Göteborg, lyfte till sist akademins röst. Profes sorsnätverket har varit vilande några år, Helena menade att det är dags att damma av nätverket. Det har varit så vilande att akademin inte ens inom sig själva vet vem som är professor, adjungerad mm numera. Det har skett ett dramatiskt generationsskifte på många poster de senaste fem åren och först måste en lista på ingående pro fessorer, både fasta och adjungerande upprättas. Läkarutbildningen är lite differentierad i olika delar av landet och kan behöva input. Nätverket kan också fungera som bollplank till or topedins verksamhetschefer. Enighet och samverkan för en stark ortopedi i Sverige var hennes budskap.
Mötet slutade med att meddela da tum för vårens möte som blir den 3:e februari. I framtiden planerar SOF att alltid lägga två möten per år med verk samhetscheferna, ett under Ortopediveckan och vårens möte fredag vecka 5. Så nu kan alla boka dessa datum för några decennier fram i kalendern.
Efter mötet träffades de närvarande professorerna direkt och nystartade entusiastiskt sitt nätverk. Ur pandemin har kommit handlingskraft. Tack SOF för ett informativt möte!
Karin Bernhoff Huvudredaktör Ortopediskt MagasinEtt helt nytt koncept prövades på Ortopediveckan. En hel för middag där delföreningarna fick presentera sina ”hot topics” för kollegerna under 20 minuter.
Idén tycks ha kommit från de stora mötena i USA där subspecial iseringen gått ännu längre än här i Sverige. Många ortopeder i vårt land är ju ännu generalister, kanske med ett specialintresse inom någon subspecialitet, men många är vi som måste hantera alla olika typer av orto pediska tillstånd och inte minst trauma.
Förmiddagen bestod av korta fallpre sentationer och modererades av Carl Johan Tiderius, Malmö och Nils Hailer, Uppsala. Alla delföreningarna bidrog med lärorika fall, nyheter inom området och tips och trix. Alla höll dessutom tiden. Frågorna rasade in från publiken, både via appen och på traditionellt vis med handuppräckning och mick.
Först ut var Skandinaviska Sarkom gruppen och Emelie Styring som beskrev hur man ska hantera sar komfrågeställningar kring knäled hos barn. Svenskt Ortopedtraumatologiskt Sällskap med Johan Scheer och Peter Ström beskrev den fiffiga tekniken med supra-patellär tillgång vid märgspikning av tibia. Svensk Barnortopedisk Fören
ing, Marie Askenberger delade bud skapet att inte bara släppa patellalux ationer hos unga vind för våg utan att följa upp dem. Man behöver inte heller utsätta barn för akut knäpunktion vid denna diagnos.
Svenska Höft- och Knäföreningen, Olof Sköldenberg och Anders Brüggemann, pratade dubbelcupar, Dualitystudie, 3D och provokations-CT, medan den nya föreningen Svenska Artroskopisk Föreningen med Truike Thien och Paul Neuman i spetsen gav praktiska råd vid handläggningen av traumatiska mjuka knän.
Fotsällskapet, representerade av Anna Östberg-Elmlund och Mats Billsten berättade om den breda foten, förvärvad plattfot, hallux valgus och hälseneinsertalgi. De skickade med att exempelvis patienter med droppfot kan få betydande gångförbättring med en enkel senförflyttning.
Svensk ryggkirurgisk förening, Ted Eneqvist och Peter Försth, berättade om spinal stenos och konkluderade bland annat att tvärsnittsarea är ett sämre mått på trängsel än Schizasklassifikationen vid spinal stenos.
Sist ut var Svenska Armbågs och Skuldersällskapet med Hanna Björns son Hallgren och Erica Domeij Arverud.
De beskrev fall som vi alla känner igen kring diafysära humerusfrakturer och vad som kan och bör göras.
Denna förmiddag blev en stor pub liksuccé och möjligheten att rösta på behandlingsförslag med mentimeter i telefonen gjorde programpunkten väldigt interaktiv. Förmiddagen avslu tades med en generell dialog mellan alla delföreningarna och gav utrymme för mer generella frågor som rörde alla subspecialiteter. Delföreningarnas halvdag är troligen något som kommer att bli en stående programpunkt på kommande ortopediveckor om man ska döma av publikens kommentarer!
Alla lärorika föredrag med flera kloka ”take home messages” finns beskrivna i Ortopodden, www.ortopodden.se, med Malin Zimmerman, där föredragshållar na själva beskriver sina presentationer mer ingående.
Karin Bernhoff Huvudredaktör Ortopediskt MagasinPå onsdagen handlade det om kuratorns roll och det psykoso ciala arbetet med patienterna. Sanne Tronäss, kurator på orto peden i Lund, höll ett intressant föredrag.
Inledningsvis berättade hon var i processen hon kommer in.
– I min roll som kurator på orto peden hjälper jag patienten i kris- och reaktionsfasen. I krisfasen gör vi en bedömning av hur vi tror att patienten kommer att reagera rent psykologiskt på traumat. Under reaktionsfasen, som kan vara några dagar till några veckor, kommer alla känslor, exempelvis ilska, otröstlighet och avstängdhet. Vi är all tid noga med att kolla av var patienten befinner sig inför hemkomst, de allra flesta klarar det själva, men inte alla.
Kuratorn informerar även om vilka rättigheter man har som patient, hur man gör för att anmäla en vårdskada eller vart man vänder sig vid minskad arbetsförmåga. Många behöver också hjälp med att ta kontakt med ansvari ga myndigheter. Medicinska frågor är däremot inget som kuratorn ska hantera, men det är inte ovanligt att en överdriven respekt för läkaren gör att det är först vid mötet med kuratorn som patienten vågar ställa frågor.
– Det är inte ovanligt att patienten först när vi träffas börjar formulera frågor kring det läkaren har sagt. Jag tror att det skulle vara bra med tillfällen då läkare och kurator ses ihop med patienten. Vissa läkare har jag inte ens träffat. Men det är en rent organisa torisk fråga, säger hon.
Sanne Tronäss och hennes kollegor ar betar bland annat utifrån teorin KASAM (känsla av sammanhang). Känslan av sammanhang är något av det viktigaste för patienten. Om man inte kan förklara det som hänt en, och möta det, eller har svårt att hitta en meningsfullhet, då förlorar man sin känsla av sam manhang. Det är då man ofta behöver samtalsstöd. Behovet av samtalsstöd är stort, och kuratorerna förhållandevis få. På SUS arbetar i dagsläget 90-100 kuratorer.
– Utbildade kuratorer finns, men bud geten för att anställa fler är snäv, vilket kan vara frustrerande eftersom tidiga samtalsinsatser kan spara mycket lidan de och pengar i ett senare skede, säger Sanne Tronäss.
Utbildningen till kurator är den 3,5 år långa socionomutbildningen. Fokus på hälso- och sjukvård är mycket begränsat i utbildningen och är något man lär sig mer om vid praktik inom sjukvården.
– Nu finns dock en ny utbildning, 60 p Hälso- och sjukvårdskurator, som leder till att man blir legitimerad kurator.
Sanne Tronäss får under seminariet frågor om hur hon hanterar människor i det akuta krisskedet, exempelvis då man förlorat en kroppsdel i ett trauma.
– Det är inte jättemycket man kan göra just då. Patienter vittnar om att man inte vill ha pepp och push i det läget. Istället vill man ha bekräftelse på det som känns tungt, och veta att någon finns där som kan ta hand om alla tan kar och funderingar när man är redo. Att bara lägga sin hand ovanpå patien tens kan räcka just då, menar hon.
Det är inte ovanligt att patienten i det skedet uttrycker att det hade varit bättre om hen hade dött. Hur hanterar man det?
– Man pratar om hur de anhöriga hade känt. Suicidala patienter måste hitta något att leva för och i det här fallet kan det faktiskt vara en anhörig som är meningen med livet.
Kuratorns arbete, liksom övrig vård personals, kompliceras när patienten inte kan någon svenska, men det är inte det enda problemet.
– I många andra delar av världen pratar
man inte om känslor och tankar som vi gör i Sverige. Och tyvärr så försvinner nyanserna när vi använder tolk. Om vi känner att här behövs det mer, försöker vi hitta en kurator som talar samma språk som patienten.
I sitt föredrag pratar Sanne Tronäss om barns rättigheter i en vårdsituation. Dessa utgår från barnkonventionen och barnets bästa ska alltid beaktas vid åtgärd. Samtidigt ska barnets åsikter tillmätas betydelse utifrån ålder och mognad.
Hon tar upp det obehagliga ämnet orosanmälningar och råder den som har kontakt med ett barn i en vårdsituation och som får en magkänsla som säger att något är fel, att göra en orosanmälan.
– Det är du som vårdpersonal som ska ta ansvar för att det blir gjort. Det kan vara så enkelt som att barnet inte kom mer till bokade besök vid upprepade tillfällen. Man känner på sig att något inte är som det ska. Socialtjänsten kan inte påbörja en utredning om det inte finns någon orosanmälan.
Samtidigt är Sanne Tronäss noga med att understryka att vårdnadshavarna alltid bör underrättas om att man gjort en orosanmälan.
– Ta med några kollegor, var ett litet team som tar på er ansvaret tillsam mans och uttryck att ”vi känner oro”.
Gör en orosanmälan om magkänslan säger dig att något inte står rätt till.
Men så slutligen, vad är då det bästa med Sanne Tronäss jobb?
– Allt är roligast, men jag skulle säga att det mest givande är att se när djupt deprimerade patienter börjar använda händerna och sitt kroppsspråk när de pratar igen. Det är ett säkert tecken på att man på väg mot att hitta tillbaka till glädje, säger hon,
På onsdagens eftermiddag höll Epiphysen ett välbesökt seminarium med föredrag som framför allt vände sig till ST-läkare för att ge mat nyttiga tips, råd och kunskapsstöd. Auditoriet var engagerat och det blev en mycket bra diskussioner. Eftermiddagen avrundades med utdelning av årets slipsten och Epiphysens årsmöte.
Anna Ekman, erfaren traumaortoped från Södersjukhuset i Stock holm, höll en föreläsning och diskussion om hur bakjouren tänker och vad denna vill att primärjouren ska göra innan man lyfter luren.
1. Undersök patienten, prata med dem personligen! Det är omöjligt att bilda sig en korrekt uppfattning om en patient baserat på tredjehandsinformation.
2. Titta på huden. Är skadan öppen eller inte? Säg inte ”jag vet inte, det sitter ett gips”. Plocka av gipset för att kunna se skadan själv och vid behov gipsa om.
3. Formulera en egen bedömning. Detta är i utbildningssyfte; mycket av ortope di är mycket praktiskt – passa på att intellektualisera när du får chansen.
4. Dokumentera konsultationen med bakjouren. Skydda dig själv ur en medikolegal aspekt, det är bakjouren som bär det yttersta ansvaret. Föreligger det hög misstanke om ett av de få akuta ortopediska tillstånden (t ex compart ment) så bör bakjouren åka in till sjukhuset. Om denna av någon anledning inte vill åka in till sjukhuset så dokumentera detta i journalen.
5. Bli inte lurad! Du måste bilda dig en egen uppfattning och inte låta patienten, kirurgkollegan, operationssköterskan eller narkosläkaren föreslå en åtgärd som inte du själv är med på. Titta själv på röntgenbilderna. Om du agerar på en annan läkares råd så ska du alltid dokumentera konsultationen.
6. Tänk på vad som ligger på bakjourens bord och ta inte över ansvaret. En primärjour har inte mandat att beordra överbeläggningar, och vissa saker bör du inte stå med ensam nattetid.
Även som erfaren bakjour är det bra att ha en vän man kan ringa, och ingen blir upprörd av att bli rådfrågad som klok(are) kollega. Ring bakjouren vid minsta osäkerhet. Vill du som primärjour att bakjouren kommer in, så säg det tydligt. Men, understryker Anna, för tredje eller fjärde gången: glöm inte att undersöka patienten innan du ringer!
Alice BäckmanElisabeth Brogren från handkirur gen i Malmö berättade om några allvarliga handkirurgiska tillstånd som är lätta att missa på en akut mottagning.
Fight bite uppstår när man med knuten näve träffar en antagonists tänder och får in munbakterier i MCP-leden.
Statusmässigt kan dessa sår se beskedliga ut initialt och patienten uppger ofta en annan traumamekanism. Skadan kan vara kombinerad med extensorsenskada eller fraktur. Skadan handläggs med odling och röntgen innan leden skyndsamt spolas på oper ation. Såret lämnas öppet och eventu ella senskador sys först i lugnt skede. Patienten ska behandlas med antibioti ka med täckning för munbakterier.
Högtrycksinjektionsskada uppstår när huden penetreras av ett ämne (exempelvis färg, olja, lösningsmedel, rostskyddsmedel, vatten eller luft) under högt tryck. Det höga trycket ger vävnadsskada, nekros, påverkad mikro cirkulation och ischemi. Förloppet kan vara mycket snabbt och sekundärt finns stor infektionsrisk. Amputationsrisken är hög, framför allt vid injektion av lösningsmedel. Vid anamnes på högtrycksskada rekommenderas tidig kontakt med handkirurg. Patienten administreras bredspektrumantibiotika och ska opereras akut inom 6 timmar. Regeln är att öppna stort och debrid era noggrant. Såret lämnas öppet för second look inom några dagar.
Seymourfraktur är en öppen fysfraktur i ytterfalangen med associerad nagel
bäddsskada och luxerad nagel. Risken för osteomyelit och prematur fysslut ning är hög. Skadan behandlas med stiftning efter att interponerad nagel bädd lyfts ur och frakturen spolats. An tibiotikaprofylax rekommenderas. Jäm fört med en ”vanlig” nagelbäddsskada så är nagelbädden vid Seymourfraktur i regel skadad mer proximalt och ofta interponerad i frakturen. Fysfrakturen är instabil medan en vanlig nagelbäddsskada i regel endast har okomplicerad fraktur i processus unguicularis.
CMC-luxation kan ibland vara svår att se på slätröntgenröntgen. Skadan är ofta associerad med fraktur på hama tum och/eller metakarpalben. Man bör i sin distalstatusundersökning vara uppmärksam på ulnarisnervens funktion. Luxationen kan ibland reponeras slutet, men oftast krävs kirurgisk behandling med stiftning.
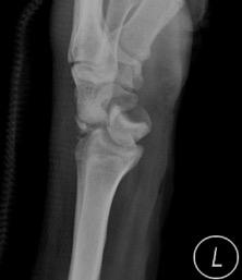
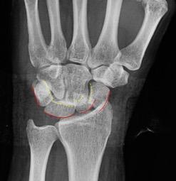
Perilunär luxation innebär en luxation mellan karpalben och lunatum. Missad skada slutar ofta med total handledsartrodes. För att upptäcka skadan på röntgen bör man leta efter oordning bland karpalbenen och avbrott i Gi lulas linjer som i normalfallet förlöper som två harmoniska bågar (se bild). Skadan framträder oftast tydligast på sidobilden med capitatums läge dorsalt beläget om lunatum. Obser vera medianusfunktionen och gör ett försök till sluten reposition. Patient en ska behandlas på operation med stiftning och ligamentsutur oavsett om repositionen lyckats eller ej.
Arvid von Konow Gilulas linjer ska löpa som två harmoniska bågar i carpallederna. Perilunär luxation ses oftast tydligast på sidobilden. Vid skada blir bågarna störda och svåra att följa. Vid Seymourfraktur genom fysen på distala falangen blir ofta nagelbädden nedslagen i frakturen.Läkning efter hälseneruptur sker i tre faser:
Inflammatorisk fas med hema tombildning (veckor)
• Uppbyggade fas där läkningsvävnad med större volym och sämre kvalitet än den friska vävnaden bildas (månader)
Remodellerande fas där läkningsvävnaden byts ut mot vävnad av bättre kvalitet och ökad styrka (år)
För att få en bra läkning är rätt belast ning viktigt. Låg belastning ger för lite information till vävnaden och stimul erar ej läkning och remodellering. För hög och långvarig belastning utmattar och skadar vävnaden. Bäst resultat ses med kort belastning dagligen.
Konservativ behandling bör inledas inom 72 h från skada. Initial behandling med gips i spetsfot och avlastning i två veckor, därefter mobilisering i ortos med kilklackar och fysioterapi.
Kirurgisk behandling bör helst ske inom en vecka från skada. Efter kirurgin följer man samma regim med gipsoch ortosbehandling som vid konserva tiv behandling, men 4 v postoperativt kan man ta av ortosen nattetid.
Störst risk för reruptur ses första månaden efter ortosavveckling. Vid rehabilitering bör patienterna avrådas från töjningsövningar och promenad er då detta kan leda till förlängning. Rehab inkluderar kort, kontrollerad gångsträcka, sittande och tvåbenta tåhävningar. Efter ca 3 månader
kan många genomföra en enbent tåhävning.
Efter rehabilitering återgår 20% ej till tidigare aktivitetsnivå, och enbart 6% klarar av att belasta den skadade sidan med över 85% av belastningen den oskadade sidan klarar. De med genomgången hälseneruptur rekom menderas efter rehabilitering att ha tre dygn mellan löp- och hoppaktiviteter för att tillåta återhämtning och minska risken för förnyad skada.
Årets Slipsten är en utmärkelse som delas ut årligen av Epiphy sen till den klinik som genomför det bästa förbättringsarbetet för sin ST-utbildning, och gick i år till Danderyds ortopedklinik.
Kliniken har vässat utbildningen och kunskapskontrollen av ST-läkarna trots pandemi och sparkrav. Vi är mycket imponerade av Danderyds arbete och hoppas det inspirerar andra kliniker att följa i deras fotspår.
Frida BoströmMuntlig examination på ca 1,5-2 timmar efter avslutad placering på samtliga sektioner. Två dagars instuderingstid inför varje examination.
Grand rounds där ST läkarna 5-6 gånger under sin ST-tid tilldelas ett ämne att djupdyka i och presentera för övriga kliniken. En halv dags studietid samt en erfaren specialist till stöd.
Obligatoriskt att vara godkänd på nivå 1-operationer på samtliga sektioner.
Bevakning av antalet operationer ST-läkare gjort och assisterat på samt åter koppling till de olika sektionerna.
Ökad studietid utöver de ovan nämnda till 2 dagar per termin.
Katarina Nilsson Helander, Anne lie Brorsson och Pernilla Eliasson skickade med flera goda tips under sitt föredrag.I Sverige genomförs det omkring 2 300 benamputationer årligen¹. En ny studie, genomförd av forskare vid bland annat Karolinska- och Sahlgrenska Universitetssjukhusen, visar att den mikroprocessorstyrda benprotesen Kenevo ger patienterna en förbättrad livskvalitet samt minskade fallolyckor och sjukvårdskostnader.
– Det känns positivt att kunna visa på att Kenevo ger hälsoekonomiska fördelar även för patientgruppen 65 år och uppåt. Att genomgå en amputation är ett stort ingrepp som kan få stora konsekven ser för både patienter och anhöriga. Att därför kunna visa på en ökad livskvalitet och färre fallolyckor för dessa patienter, med förväntad kort levnadstid är förstås väldigt glädjande, menar Hans Berg, överläkare vid Karolinska Universitetssjukhuset.
Hundratals fallolyckor kan förebyggas Den höga dödligheten hos patienter över 65 år vid tidpunkten för amputation, minskar den förväntade användningstiden för protesen vilket tidigare väckt frågor kring kostnadseffektiviteten hos Kenevo. Studien visar dock att man genom att byta till Kenevo istället för traditionella proteser skulle kunna förebygga 137 sjukhusinläggningar och 19 dödliga fallolyckor per 1000 patientår hos protesanvändare, 65 år eller äldre. Genom att minska fallrisken och öka livskvaliteten bedöms alltså Kenevo vara kostnadseffektivt även för äldre patientgrupper².
Studien är baserad på data från 8 631 svenska patienter. För att läsa hela studien, scanna QR koden nedan.
Under Ortopediveckan arrang erades symposiet ”Foten på gränsen” i ett samarbete mel lan fot-och fotledskirurger samt barnortopeder. Initiativtagare och ansvariga var Maria Cöster och Ann-Charlotte Söderpalm.
Syftet med symposiet var att sätta fokus på diagnos er som hanteras av såväl fot-och fotledskirurger som barnortopeder och diskutera gräns dragning, skillnader och likheter mel lan den vuxna foten och barnfoten. Kan man använda samma kirurgiska teknik hos barn som vuxna? Kan man förutsäga att vissa barnfötter trots adekvat behandling kommer fortsätta ha problem som kommer behöva följas upp när de blir vuxna. Hur och när ska då överföring mellan barn och vuxenortoped ske? Sympo sier där flera subspecialiteter samver kar passar in på ortopediveckan där vi har möjlighet bredda oss och ta lärdom av varandra. Förhoppningsvis kan detta symposium leda till ökat samarbete, kunskap och ett förbät trat omhändertagande av dessa patientgrupper och deras fötter.
Sannolikt normalt/fysiologiskt hos barn om den är bilateral. Plattfothet undersöks bäst bakifrån när barnet står på hela foten och sedan ställer sig på tå. Då ser man hur bakfoten går från valgus vid belastning till varus vid tåstående. Likaså kan man se att det utvecklas ett längsgående medialt fot valv när barnet ställer sig på tå jämfört med när hela foten belastas. Se bild 1.
Är det normalt att vara plattfotad?
Sannolikt. Plattfotheten beror nog mest på flexibla fötter som inte har något strukturellt fel. Observera att det normala är bilateral plattfothet. Unilat eral betyder att en fot är platt, pes plano valgus, eller att den andra är i varus, ibland cavo varus, vilket inte är normalt. Om det finns en tydlig asym metri och fotfelställningen är förvärvad behöver man tänka på möjlig neuropati eller pro cess i spinalkanalen. Se bild 2.
Plattfothet är en felställning i första hand och inte en diag nos. En individuell bedömning av var felställningen sitter och vad den kan bero på behövs. Se bild 3.
”Plantar flexion knee extension couple” och vikten av en rak och stadig fot som pekar framåt. Det ger förutsättningar för Gastrocnemiusmuskeln att verka över både fotleden genom mothåll, plantart mot golvet, och samtidigt få effekt över knäleden med sträckning av knät. Se bild 5 A. Bild 5B visar hur längden på fo ten som hävarm ändras vid rotationsfelställning /fotprogression, vilket också påverkar effekten av plantar flexion knee extension couple. Se bild 5 A och B.
Midfoot break är inte ovanligt hos barn med neuromuskulär sjukdom, exempelvis cerebral pares, och innebär inte bara en felställning mellan talus och calcaneus, utan också en brytning i mellanfoten. Oftast sitter instabiliteten mellan navikulare och cu neiforme mediale. Foten är sned och instabil och fungerar inte som en effektiv hävarm. Se bild 6.
Subtalusartrodes eller calcaneusförlängning kan vara aktuellt för att adressera bakfoten. Samtidigt behöver man värdera instabi liteten i mellanfoten, som om den inte åtgärdas kan driva foten, inklusive bakfoten, i valgus igen.
Före och efter calcaneusförlängning och flexionsartrodes mellan navikulare och cuneiforme mediale hos 12-årig pojke med utta lade besvär i form av instabilitet och smärtor. Se bild 7.
Talocalcaneär (TC)
• Talocalcaneär (TC)
DE VANLIGASTE COALITIOTYPERNA
Calcaneonaviculär (CN)
Calcaneonaviculär (CN)
Tarsal coalitio är i huvudsak ett medfött tillstånd, som orsakas en bristande separation mellan ben i foten. Sammanväxningen kan vara totalt benig, partiell eller fibrös.
Kan inte invertera hälen vid tåhävning
• Kan inte invertera hälen vid tåhävning
Kan inte invertera hälen vid tåhävning
Smärta nedanför mediala malleolen
Minskat ROM mellanfot
Calcaneonaviculär (CN)
Minskat ROM mellanfot
Minskat ROM mellanfot
Smärta i och nedanför sinus tarsi
Smärta i och nedanför sinus
• Smärta nedanför mediala malleolen
Smärta nedanför mediala malleolen
Tarsal tunnel symptom
D e vanligaste varianterna är; talocalcaneär (TC)(48,1%) respektive calcaneonaviculär (CN)(43,6%).1
Trots att tillståndet är medfött, är det få små barn, som uppfat tas ha problem av detta. Inte heller alla äldre barn eller vuxna med diagnosen kommer någonsin att få bekymmer. Det har föreslagits att incidens av tarsal coalitio kan vara upp mot 12%, medan symtomgivande tillstånd uppskattas till mindre än 1%. Mörkertalet är således stort.2 Av de individer som får besvär kommer troligen de flesta att uppmärksamma sina problem mellan 8 och 16 års ålder. Många kommer dock inte att uppleva några besvär förrän i vuxen ålder. Inte sällan debuterar besvären i samband med en svårare fotledsstukning, där smärtorna inte klingar av som förväntat. Smärtsam plattfot, som dessutom är rigid i bakfot eller mellanfot stärker misstanke om coalitio. För visso förekommer coalitio även vid cavovarusfot, men betydligt mer sällan.
Diagnosen ställs, förutom genom klinisk undersökning, radiologiskt. Vid TC ger slätröntgen framförallt indirekta tecken på diagnosen, medan CN kan synas mer tydligt. CT har dock kom mit att bli den dominerande diagnostiska metoden för benig coalitio. Hos ett litet barn, där en betydande del av fotskelettet inte ännu är mineraliserat, skulle tillståndet dock kunna vara svårdiagnosticerat med såväl slätröntgen, som CT, likaså vid icke-benig sammanväxning. Vid MR-undersökning kan däremot icke-benig coalitio visualiseras, ofta med ödem i området för coalition. Artrografi kan användas i diagnostiken av CN coalitio oavsett fibrös, partiell eller benig typ. Artrografin utförs ofta i samband med kirurgi.
Vid symtomgivande coalitio rekommenderas alltid i första hand aktivitetsanpassning och anpassning av skor samt inlägg. Om en distorsion har orsakat smärtdebut av en nyupptäckt coalitio kan immobilisering i belastningsbar ortos eller gips provas under 4-6 veckor.
Vid behov av kirurgisk åtgärd av coalitio skiljer sig barn- och vuxen-åtgärder inte nämnvärt åt sånär som på att åtgärderna hos barnen i princip alltid syftar till ledbevarande kirurgi och ytterligt sällan utgörs av artrodesåtgärd.
Vid symtomgivande och omfattande coalitio rekom menderas dock artrodes, självklart utifrån ett åldersperspektiv och mer frekvent ju äldre patienten är. Likaså om patienten hunnit ut veckla sekundär artros. Vid uttalad plattfothet eller val gusbakfot korrigeras denna med calcaneusosteotomi (medialisering av tuber eller lateral collumnförlängn ing).3 Sekundära fotledsin stabiliteter korrigeras med ligamentär stabilisering.
Mjukdelsökning nedanför sinus tarsi
• Tarsal tunnel symptom
Smärta i och nedanför sinus tarsi Tarsal-tunnelsymptom
Mjukdelsökning nedanför sinus tarsi
Mjukdelsökning nedanför sinus tarsi
Parestesier och domningskänsla (n.peroneus superficialisområdet)
Parestesier och domningskänsla (n.peroneus superficialisområdet)
• Parestesier och domningskänsla (n.peroneus superficialisområdet
PEVA är en medfödd fotfelställning, som drabbar drygt 1/1000 födda barn i Sverige. Felställningen förekommer isolerad eller i samband med andra tillstånd. PEVA innebär en mer eller mindre rigid spetsfot, bakfotsvarus och framfotsadduktion samt ofta en cavus.
Sedan många år behandlas PEVA enligt Ponseti, som innebär veckovisa redressioner och helbensgips. Be handlingen går ut på att successivt manipulera foten så att det mjuka barnskelettet och lederna anpassas till ett korrigerat läge. Redressions manövern är delikat och får inte göras med allt för stor kraft.
Eftersom ligament och hälsena kan vara mindre eftergivligt och omformningsbart än skelettet, finns risk att man skapar en annan typ av deformering. Av detta skäl utförs i majoriteten av fallen en percutan hälsenete notomi tidigt. När ett gott läge uppnåtts med gipsningar, sker fortsatt underhållsbehandling i fotabducerande ortos. I vissa fall recidiverar felställningen och ytterligare korrigerande behan dling kan bli aktuell.
Lisbeth Brax Olofsson Ortoped och fot-fotledskirurgi Norrlands Universitetsjukhus UmeåRedression av PEVA-fot. Resektion av fibrös CN coalitio – före (ovan) och efter (nedan).
17° rörlighet i sidled – jämförbart med en mänsklig fot.
Unik konstruktion för bästa energiåtergivning, styrka och rörlighet.
Röntgenbild med platt talus.
Garanterad i söt-, pool- och saltvatten.
Max kroppsvikt 150 kg.
UTVECKLAD OCH PRODUCERAD I SVERIGE
Lindhe Xtend AB Olofsdalsvägen 40 A, SE-302 41 Halmstad, +46 (0)35 262 92 00, info@lindhe.se lindhextend.se
Den typiska stortåfelställningen (se bild 1) orsakas av en muskelobalans, som måste korrigeras tillsammans med stortåkirurgin för att resultatet ska bli bestående.
Post PEVA-problematik är komplex och innefattar många utmaningar och patienterna bör för bästa resultat skötas på ett fåtal enheter i landet med hög barnortopedisk/fotkirurgisk kompetens. Samarbete mellan subspecialiteterna kommer förbättra omhändertagandet för patientgruppen.
”PostPEVA” omfattar vuxna PEVA-behandlade patienter (> 16 år) med besvär från sin behandlade fot med kvarstående defor mitet eller en överkorrektion.
PostPEVA är en stor utmaning för kirurgen! För att kunna hjäl pa patienterna optimalt måste man förstå i) heterogeniteten och komplexiteten i deformiteterna ii) koppling mellan stelhet, fotdeformitet och röntgenförändringar och iii) vad som är or saken till upplevd smärta och funktionsnedsättning.
PostPEVA omfattar olika problemtyper; underkorrektion, överkorrektion, talusdeformitet, navicularedeformitet och bal ansering av foten. Under korrierade fötter innefattar kombinationer av spetsfot, varus, cavus, adduktus och framfotssupination medan en överkorrigerad fot in nebär olika grader av valgus fot eller gungfot. Plattfothet eller valgusfot vid postPEVA kan dock inte hanteras som en ”vanlig” plattfothet.
Referenserna till artikeln finns på ortopedisktmagasin.se
I torsdagens session om distala radiusfrakturer uppträdde Mats Wad sten, Sundsvall, Albert Christersson, Uppsala, Sofia Svärding, Danderyd, samt moderator Magnus Tägil, Lund, alla medlemmar i gruppen bakom det nya vårdprogrammet för distala radiusfrakturer som nu varit i bruk i ett drygt år.
Vårdprogrammet utformades av representanter för berörda patienter tillsammans med ett brett urval ur profes sionen. Vi fick veta att ålder som ett lättdefinierat men grovt kriterium för behandling har lämnats och ersatts med en förhoppningsvis mer korrekt men mindre precis indelning utifrån behov eller funktionsklass.
Tre klasser har definierats, en patient grupp med höga krav på hand- och handledsfunktion, en intermediär och en med låga krav. För att inte bara fokusera på den kirurgiska be handlingen lyftes i symposiet vikten av att erbjuda en god icke-operativ behandling, det vill säga förbättrat omhändertagande på akuten, bättre reposition av felställda frakturer, bättre gipsar, snabbare beslut om operation samt inte minst en förbättrad och tidig uppföljning av rehabiliteringen.
Patientens upplevda slutresultat efter en handledsfraktur är multifaktoriell. Färska originaldata framlades av Mats Wadsten, som i sitt material visade att felställningen i frakturen, efter slutläkning, är en prediktiv faktor för ett sämre utfall. Försämringen av det radiologiska läget går dock att förutspå för vissa frakturtyper, vilka i det natio nella vårdprogrammet presenteras som fyra ”snabbspår” till operation. Målet är att erbjuda rätt slutbehandling redan från början. En fraktur som inte faller under något av snabbspåren har goda förutsättningar att läka i bra läge med gipsbehandling. En nyckel till framgång är att repositionen återskapar kontinu itet (upphakning) i radius volara kortex, fundamentet mot vilket karpalbenen vilar. Mats framhöll vikten av att kon trollera att det volara stödet består vid återbesöket, samt notera förändringar i frakturläget mellan besöken, då även en mindre lägesförsämring är ett teck en på sen instabilitet med malunion som följd.
Albert Christersson redovisade färska data från Uppsala om kvaliteten på och förbättringspotentialen avseende repositionen vi gör på akuten. Jämfört med för tjugo år sedan reponerar vi idag faktiskt sämre och detta avspeglas så klart i ett försämrat läge på vecko-
kontrollen. Albert gav en föredömlig genomgång om hur vi bäst reponerar en färsk fraktur men också hur vi ska tänka för att gipset vi lägger ska ge bra stöd. En korrekt reposition av en distal radiusfraktur utförs med hjälp av Charnleys tre-stegsmodell med trak tion, följt av volar reposition av distala fragmentet och slutligen pronation av det distala fragmentet i förhållande till skaftet. Albert beskrev också multipla nar ligamentotaxis enligt Agee med volar parallellförskjutning av det distala fragmentet. Slutligen framhävdes det att den dorsala gipsskenan bör ge ett trepunktsstöd; i frakturhöjd på volarsi dan, samt proximalt respektive distalt på dorsalsidan. Handleden bör gipsas i funktionsställning, d v s ca 30 graders dorsalextension.
Sofia Svärding, specialistarbetster apeut från Danderyds sjukhus, dis kuterade slutligen frågan vi alla undrar över, varför vissa patienter, trots likarta de skador och förutsättningar, klarar av handrehabiliteringen bättre än andra. Studier visar att både personfaktorer och psykologiska funktioner (till exem pel rörelserädsla och katastroftankar) har betydelse för slutresultatet efter en radiusfraktur. Tilltro till sin förmåga (self-efficacy), känsla av sammanhang (KASAM) och det nyare begreppet ”driv/ ihärdighet” (engelska grit) är mätbara personfaktorer. Det finns ett samband mellan personfaktorer/psykologiska funktioner och smärta, funktion och aktivitetsförmåga. Sofia sammanfatta de de viktigaste rekommendationer na i det nationella vårdprogrammet gällande rehabdelen, med att vi måste 1) öka medvetenheten om personfak torernas och psykologiska funktioners betydelse, 2) tidigt identifiera hinder avseende personfaktorer och psykolo giska funktioner samt att vi måste 3) prioritera resurser till de som är i mest behov av återbesök och underlätta egenträning för patienter med goda förutsättningar.
Sammantaget gav symposiet och underliggande vårdprogram bra förutsättningar för en konstruktiv di skussion med patienten avseende ett individualiserat behandlingsval med patienten som en aktiv deltagare i beslutet.
Skador runt klavikeln är mycket vanliga. Pendeln avseende be handlingsval har svängt fram och tillbaka under åren och varia tionen i operationsfrekvens mel lan kliniker är påfallande stor.
Under årets Ortopedivecka hade Svenska Skulder- och Armbågssällskapet (SSAS) och Svenskt Ortopedtraumatolo giskt Sällskap (SOTS) en gemensam session om skador från SC-led till AC-led med föreläsare från båda delföreningarna med målet att belysa evidensläget. Symposiet avslutades med en falldiskussion där föreläsarna utmanades i att följa de rekommenda tioner de gett i sina föreläsningar.
Ett bestående intryck av sessionen blev att långtidsresultaten (ett år) med
icke-operativ behandling är mycket goda och att utmaningen vid akuta skador är att välja ut en mycket liten andel av patienterna (5-10%) som riskerar rekonstruktiv åtgärd senare på grund av kvarstående besvär. En rekon struktiv åtgärd (pseudartrosoperation, osteotomi, ligamentrekonstruktion) som dessutom från vad som är beskriv et verkar ge mycket goda resultat.
Föreläsarna föreföll överens om att – med undantag för några få skador såsom öppna skador, kärl/nervskada etc – bör beslut om kirurgi av en mittdiafysär- eller lateral klavikelfraktur, al ternativt en AC-ledsluxation fattas först 1-2 veckor efter skadan i samtal med specialistkompetent ortoped.
Faktorer som i det läget skulle indikera nytta av akut operation är: utebliven förbättring och kraftig kvarvarande
smärta vid återbesöket eller mycket höga krav på skulderfunktion. Ställ sedan den förhållandevis låga sanno likheten att just din patient har lång siktig nytta av operationen mot risken för komplikationer (framför allt en 5-7% risk för infektion).
Jag gissar på ett framtida nationellt vårdprogramarbete i ämnet.
Capio Ortopediska Huset ligger centralt beläget vid Globen i Stockholm och är en av Stockholms största elektiva enheter. Vi är en av landets största aktörer gällande höft- och knäplastikkirurgi och fotkirurgi och är också inriktade på artroskopisk axel- och knäkirurgi.
Kliniken har 4 operationssalar och 19 vårdplatser för inneliggande vård.
Vi har höga ambitioner och har som mål att vara det självklara valet för både remittenter och patienter.
Vi har nu behov av att förstärka organisationen med en ortoped med intresse för mottagningsarbete för bedömning av knän, axlar, händer och höfter. Vi söker därför dig som är specialist i ortopedi och är driven och självständig inom detta område.
Det finns stora möjligheter att påverka tjänstgöringsgrad, allt från någon/några dagar per vecka till heltid. Stor hänsyn tas till personliga önskemål vid schemaplanering.
Du ska vara engagerad, trivas med att arbeta i en produktiv miljö, ha ett gott omdöme, goda referenser och ha en uttalad servicekänsla.
Johan Scheer Ortopedkliniken US LinköpingFör ytterligare information välkommen att kontakta VD/verksamhetschef Martin Thorsell, martin.thorsell@capio.se
Capio Ortopediska Huset ingår i Affärsområde Capio Ortopedi som är Sveriges största ortopediska vårdgivare. Vi är en del av Ramsay Santé som är en av Europas ledande privata vårdkoncerner. capio.se/specialist/stockholm/ortopediska-huset/
I Sverige kan man tycka att det bör vara möjligt för alla att från tidig ålder lägga grunden till en god hälsa – men tyvärr är det inte så det ser ut. Endast två av tio unga når rekommendationen på 60 minuters aktivitet per dag och en av tio följer Livsmedelsverkets kostrekommendationer.
T ill onsdagens symposium ”Pre vention för friska och skadade” var den prisade friidrottaren Carolina Klüft inbjuden som huvudtalare. Idag är hon verksamhetschef för Generation Pep. Organisa tionen startades av kronprinsessparet 2016 och drivs tillsammans med aktörer från hela samhället, för ett långsiktigt hälsoarbete riktat mot barn och unga.
Barnortopeden Måns Persson Bunke presenterade Carolina Klüft med orden: ”Idag utkämpar hon en ny sorts sju kamp, den mot de sju dödssynderna”.
Kanske kan hon inte bekämpa mänsk lighetens alla laster, men med sitt arbete vill hon visa vägen till en aktiv och hälsosam livsstil.
– Jag växte upp i ett litet samhälle utanför Växjö och där upplever jag att jag hade alla förutsättningar jag be hövde. Aktiva idrottsföreningar och en aktiv skola med mycket fysisk aktivitet. Där la jag grunden till min idrottskarriär och hälsa, säger hon.
Carolina Klüft berättar att hon alltid har idrottat, men till en början var det mycket spontanidrott.
– Det handlade otroligt mycket om lek, det viktigaste var att ha roligt. Man kan säga att glädje var grunden och så småningom började jag ut mana kroppen på olika sätt och leka idrott. Jag hade ett sammanhang, jag kände mig inkluderad och sedd, säger hon.
Här tycker hon att den organiserade idrotten ofta går fel idag och elitsatsar för tidigt, vilket resulterar i att många barn slutar redan i 10-12-årsåldern.
– Vi ska inte primärt skapa idrottsstjärnor. Barn ska få hälsa med sig, för att få långa och friska liv, det måste samhäl let ta ansvar för, säger hon.
Carolina Klüft vill se ett nytt system som inte lägger hela ansvaret för rörelse och hälsa på individen.
– Kostnaderna för samhället – och självklart för individen – blir för stora när vi misslyckas med det. Vi behöver hälsokunniga och modiga beslutsfattare som vågar satsa på reformer i folkhälsof rågorna. Vi kan börja med att tillsätta en
Niklas Cederström säger att mod ellen även funkar bra på situationer i hemmamiljö, där övningarna anpas sas utifrån meningsfulla sysslor och rörelser man åter vill kunna utföra i vardagslivet.
Train the Brain bygger med andra ord på att få hjärnan att tro att den utför rörelsen igen samtidigt som man gör en rehabiliteringsövning och på så vis få både kroppen och knop pen med sig.
Det finns ett inbyggt motstånd i förebyggande och rehabiliterande träning – den upplevs ofta som tråkig. Kan tränin gen göras roligare och mer meningsfull?
Eva Ageberg, professor i fysioterapi, och två medarbetare i hennes forskargrupp vid Lunds universitet berättar om forskningspro jekten Train the Brain och I-PROTECT.
Train the Brain syftar till att integrera psykologisk träning i fysioterapeutisk träning, för att hitta en träningsmod ell som ger bättre resultat.
Eva Ageberg berättar att patienter ofta frågar ”Kommer jag kunna återgå till min tidigare fysiska aktivitet/
idrott?” Svaret är att många tyvärr inte gör det.
– Det är vanligt med rädsla för mer besvär eller ny skada, säger Eva Age berg.
Träningsmodellen som hennes forskar grupp nu utvecklar utgår från både fy siska och psykologiska aspekter utifrån patientens behov. Niklas Cederström, doktorand i projektet, berättar:
– För idrottare handlar det om att åter skapa individualiserade och relevanta idrottssituationer från innan skadan, både mentalt och fysiskt. Övningarna skapas i samråd mellan fysioterapeut och patient utifrån patientens egen kompetens och den här typen av självbestämmande kan ge en mycket bättre träningsmotivation.
Slutligen berättade Sofia Bunke, lektor i idrotts- och motionspsykologi, om forskningsprojektet I-PROTECT, ett samarbete mellan Lunds universi tet och Svenska Handbollförbundet. I-PROTECT handlar om skadeförebyg gande och prestationshöjande träning för just handbolltränande ungdomar. Modellen är idrotts- och åldersspecifik, kombinerar idrottsmedicin och idrottspsykologi samt integrerar strategier för motivation, beteendeförändring och implementering.
Materialet har tagits fram i samar bete mellan forskare och användare och fokus har legat på vad som upplevs som rolig och meningsfull träning. Projektet har byggt mobilap pen ”I-PROTECT GO” för ändamålet och där finns målgruppsanpassade moduler för spelare, ledare, klubbrep resentanter och vårdnadshavare.
Projektet syftar till att skadeföre byggande övningar på sikt ska bli en naturlig del av den ordinarie hand bollsträningen för ungdomar.
folkhälsominister, påpekar hon.
I storstadsregionerna nämner hon den bristande tillgången på idrottslokaler, -hallar och bollplaner, det finns helt enkelt inte ytor att vara på. Dessutom behövs ännu fler ledare med rätt ut bildning och förmåga att entusiasmera de unga. Idrott i anslutning till skolan behöver också byggas ut tror hon, så att man kan stanna kvar och vara med på en organiserad, men spontan, fysisk aktivitet.
Idrottsrörelsen gör ett stort arbete med ”Strategi 2025”. Strategin syftar till att fler ska bli motiverade att vilja idrotta genom hela livet.
– Det måste finnas utrymme för att
genom livet röra sig och ha kul, oavsett om du vill elitsatsa eller är en vanlig motionär, säger hon.
När det gäller elitidrott är det förstås inte något för alla, men hon tror att den har en viktig roll att fylla som något man kan samlas kring och vara stolt över – ett svenskt landslag exem pelvis. Elitidrotten skapar goda före bilder.
– Jag får ibland brev från barn som skriver att de vågat och lyckats på gr und av mig, det känns fantastiskt.
Det egna drivet i tonåren beskriver hon som jättestort, så pass att hon hade svårt att avgöra när det var läge att ta ett steg tillbaka och låta kroppen vila.
Linda Linnskog Rudh – Mitt driv var så stort, med åren har jag blivit klokare, men det är fortfarande svårt att hålla tillbaka när jag till exem pel deltar i lekprogram på tv. Då vill jag självklart vinna, säger hon och skrattar.
Du hittar mer om Generation Peps arbete här: generationpep.se
Linda Linnskog Rudh Redaktionschef Ortopediskt MagasinDet var frågan som doktorand Perna Ighani Arani, ST-läkare på ortopediska kliniken i Region Örebro län ställde sig tillsam mans med sin forskargrupp.
Obesitas har identifier ats som en global pandemi och har under de senaste decennierna ökat.1,2 Det är även känt att sjukdomen är en av de största riskfaktorerna för att utveckla artros och kan komplicera det operativa förfarandet vid total knäar troplastik (TKA).3-6 Viktnedgång rekommend eras därför ofta inför TKA, där bariatrisk kirurgi (BS) är ett av alternativen. En omfattande livsstilsförändring krävs dock för att få de goda effekter na av BS, där fysisk aktivitet ingår. Frågan som kan uppstå är om patientens obesitas eller patientens knäsmärta ska åtgärdas först. I denna studie undersökte vi därför om ordningen på operationerna påverkade viktförändring efter BS och risken för revision av TKA på patienter som genomgått både BS och TKA.
Patienter som genomgått TKA mellan åren 2009-2019 och BS inom 2 år före eller efter TKA identifierades via Scandina
vian Obesity Surgery Registry och Svenska Knäprotesregistret. Studiepopulationen delades in i två grupper, patienter som genomgick TKA före BS (TKA-BS) samt patienter som genomgick TKA efter BS (BS-TKA).
revision för alla orsaker efter TKA mel lan grupperna, och justerades för kön, åldersgrupp (<45, 45–54, 55–64, 65–74, och 75–84 år) och BMI-kategori, (<18.5, 18.5–24.9, 25–29.9, 30–39.9, och ≥ 40) vid tid för TKA.
Totalt inkluderades 584 patienter, varav 119 patienter genomgick TKA före BS (TKA-BS). Vi kunde inte finna någon association mellan ordningen på operationerna och viktförändring ett år respektive två år efter BS. Medeluppföljnings tiden var 39 månader i TKA-BS gruppen och 24 månader i BS-TKA gruppen. Fem pati enter i TKA-BS grup pen reviderades efter TKA och 26 patienter i BS-TKA gruppen. Vi fann ingen statistisk signifikant skillnad i risken för revision mellan kohorterna (HR 1.5 (CI 0.5-4.5), med TKA-BS som referens.
Multilinjär regressionsanalys genomfördes för att utvärdera viktförändringen efter BS och justerades för typ av BS, kön, ålder och BMI vid tiden för BS. Cox regressions modell användes för att utvärdera risk för
Vi kunde inte påvisa någon skillnad av seende viktförändring eller risk för revision efter TKA beroende på ordningen av operationer för patienter som genomgått BS och TKA.
Posterpuben blev en välbesökt och uppskat tad tillställning.
Vi har genomfört en studie med 9979 patienter 20-64 år gam la från Svenska ryggregistret, Swespine. Syftet var att jämföra resultat samt komplikationer hos patienter med normalvikt, över vikt samt olika grad av obesitas, samt att jämföra andelen patien ter inom varje viktkategori som i uppnår förbättring överstigande ”Minimal Clinically Important Difference” (MCID).
Vi fann följande bland patienter som opererats för lumbalt diskbråck:
• De flesta är nöjda oberoende av grad av
• Förbättringen av bensmärta är något sämre bland obesa jämfört med normal viktiga, men vi finner ej skillnad mellanobesa klass III-patienter och obesa klass I-patienter.
• De flesta når en förbättring överstigande MCID oberoende av BMI-klass.
• Överviktiga drabbas av fler komplika tioner än normalviktiga men vi finner ingen skillnad mellan obesa klass III- och obesa klass I-patienter.
1. Obesity: preventing and managing the global epidemic. Report of a WHO consul tation. World Health Organ Tech Rep Ser. 2000;894:i–xii, 1–253.
2. Jaacks LM, Vandevijvere S, Pan A, McGowan CJ, Wallace C, Imamura F, et al. The obesity transition: stages of the global epidemic. Lancet Diabetes Endocrinol. 2019;7:231–40.
3. Dieppe PA, Lohmander LS. Pathogenesis and management of pain in osteoarthritis. Lancet. 2005;365:965–73.
4. Kerkhoffs GM, Servien E, Dunn W, Dahm D, Bramer JA, Haverkamp D. The influence of obesity on the complication rate and outcome of total knee arthroplasty: a me ta-analysis and systematic literature review. The Journal of bone and joint surgery American volume. 2012;94:1839–44.
5. Electricwala AJ, Jethanandani RG, Narkbunnam R, Huddleston JI, Maloney WJ, Goodman SB, et al. Elevated Body Mass Index Is Associated With Early Total Knee Revision for Infection. The Journal of arthroplasty. 2017;32:252–5.
6. Tohidi M, Brogly SB, Lajkosz K, Grant HJ, VanDenKerkhof EG, Campbell AR. Ten-Year Mortality and Revision After Total Knee Ar throplasty in Morbidly Obese Patients. The Journal of arthroplasty. 2018;33:2518–23.
Proportioner
Niyaz Hareni, ortopediska klini
Fredrik Strömqvist, Björn Rosengren och Magnus Karlsson,
Ortopedi, Skånes Universitetssjukhus, Malmö.
Perna Ighani Arani Doktorand och ST-läkare i ortopedi Region Örebro
SOFs årsmöte på Ortopediveckan i Malmö förflöt precis som det skulle. Valberedningens förslag till nya styrelsemedlemmar godkändes, och revisorerna godkände styrelsens räkenskaper. Dessutom kunde skattmästare Anna Apelqvist berätta att SOF har goda finanser, vilket är skönt i oroliga tider.
Under 2021 uppgick antalet medlemmar i SOF till 1745, varav 398 kvinnor och 1347 män och det ekon omiska resultatet blev 1418713 kronor. Medlemsavgiften lämnas oförändrad till nästa år på 1400 kr.
I budget för 2023 kommer dock utgifterna att överstiga in täkterna. Det beror bland annat på ökade utgifter till SLS och NOF, men även utgifter i samband med att ST-skolan sjösätts 2023, vilket garanterar ST-läkare den utbildning som målbes krivningen kräver.
En nytillkommen insats är "SOF vill komma till er" där alla Sveriges ortopedkliniker, såväl offentliga som privata, får besök av någon i SOF-styrelsen.
– Vi vill lägga örat mot rälsen och se hur vi kan tillvarata era intressen, berättar ordförande Birgitta Ekstrand.
Under 2022 har styrelsen bestått av:
Birgitta Ekstrand (ordförande)
Anne Garland (utbildningsansvarig/vice ordförande)
Maziar Mohaddes (vetenskaplig sekreterare)
Klas Edin (facklig sekreterare)
Anna Apelqvist (skattmästare)
Christian Carrwik (SPUR- och kvalitetsansvarig) Alice Bäckman (representant för yngre ortopeder)
SOFs styrelse 2023 blir följande:
Ordförande Anne Garland, nyval - 2025
Utbildningsansvarig/ vice ordförande Christian Carrwik, nyval - 2025
Facklig sekreterare Klas Edin - 2023
Vetenskaplig Sekreterare Maziar Mohaddes, omval - 2025
Skattmästare Anna Apelqvist - 2024 Kvalitetsansvarig (SPUR) Kajsa Thulin, nyval - 2025
Representant för yngre ortopeder Alice Bäckman, omval - 2023
Representanter i Svenska Läkaresällskapets fullmäktigeförsamling 2023 blir:
Ordinarie: Anne Garland Christian Carrwik Klas Edin Maziar Mohaddes Kajsa Thulin Anna Apelqvist
Suppleant: Alice Bäckman
Revisorer 2023 blir:
Ordinarie Ulf Sennerby Bengt Sandén
Suppleant Olof Wolf
Valberedning 2023 blir:
Nils Hailer - 2023
Malin Zimmerman - 2024 Birgitta Ekstrand nyval - 2025
Carl Bergdahl mottog 30 000 kronor och utmärkelsen Årets avhandling för “Humeral frac tures; Epidemiology, treatment and reoperations in the Swedish Fracture Register".
Så här lyder motiveringen: Årets stipendiat har noggrant, strukturerat och på ett föredöm ligt sätt med hjälp av data från ett kvalitetsregister kartlagt före komsten och behandlingen av en av våra vanligaste frakturer. Han har bland annat konstaterat att behandlingsstrategin har föränd rats hos patienter med överarms fraktur där fler patienter behand las med märgspik eller protes.
SOF:s forskningsstipendium
Konstantinos Pazarlis (30 000 kr)
”Uppsala Spinal Stenos Studie - UppSten".
SOF:s resestipendium Mikael Kontakis (30 000 kr) ST trauma fellowship på Leeds Major Trauma Center, 3 månader under hösten 2022.
Carl Bergdahl.
Johan Ljungdahl (30 000 kr)
”Differences in outcomes in acetabular fractures treated with osteosynthesis alone and with concomitant acute THA".
EBOT-examen (European Board of Orthopaedicsand Traumatology)
Stefan Gudmundsson (10 000 kr)
Pelle Gustafson, chefläkare Löf, fick motta utmärkelsen Hedersledamot 2022, via länk.
– Det är förstås oartigt av mig att sitta i Stockholm en sån här dag, men den här såg jag inte komma, sa Pelle på storskärm och fortsatte: Jag hoppas att jag förtjänar detta för det jag har gjort, men framför allt det jag kommer att göra.
Sedan var det dags även för Magnus Karlsson, professor i Lund, att hedras. 2020 mottog han utmärkelsen Hedersledamot digi talt och kunde nu komma upp på scenen:
– Det är väldigt hedrande att få vara bland de stora. Jag har jobbat i SOF i 10 år i olika positioner. Med SOF kan vi påverka på nationellt och internationellt plan. Alla som inte är med, höj blicken från såret, här har vi den bästa möjligheten att påverka ortopedin. Stort tack!
Av 23 examinander som genomförde årets muntliga del av Ortopedexamen blev 21 godkända. Ett stort grattis till:
Halldor Bergvinsson, Lund
Sara Brandt-Knutsson, Göteborg
Kim Claesson, Falun Anna Dahl, Stockholm
Matilda Eriksson, Södertälje
Ola Gremark, Stockholm
Stefan Gudmundsson, Göteborg
Cecilia Hansson-Baas, Gällivare Riad Konbaz, Kungälv Adam Lindfors, Stockholm Mark Maricic, Växjö
Amanda Maripuu, Helsingborg Dan Nicolescu, Linköping
Praxitelis Praxitelous, Stockholm Jakob Rempe, Helsingborg
Christos Sargiannis, Göteborg Petter Skarbäck, Lidköping Sebastian Strøm Rönnquist, Lund Maria Varttinen, Stockholm Malin Zimmerman, Helsingborg Björn Österberg, Eskilstuna
Maria Böös, Stockholm Robin Hansson, Stockholm Hamzah Abu Rweileh, Gävle
Nils Kraft, Karlstad Emma Drake, Linköping Anna Josefsson, Stockholm Klara Rosengren Keijser, Gävle Daniel Al-Barakat, Karlstad Danny Barneh, Luleå Jakob Backstad, Västervik Gustaf Ehlersson, Karlstad Niclas Molinder, Nyköping Ellen Harbom, Örebro Carolina Flodström, SkåneTranås
I år instiftades ett nytt stipendium – Årets SOF-ortoped – en hyllning till den svåra konsten att vara en skicklig kliniker och de många kollegor runt om i landet som bemästrar den.
Rasmus Bjerre, ortoped i Kalmar, fick stipendiet på 30 000 kr efter att ha blivit nominerad av sina kollegor med orden:
”Tålamod, noggrannhet och kunskap utmärker vår kollega. I den kliniska vardagen bemöter vår kollega sina patienter pedagogiskt och professionellt med stort engagemang. Bidrar dagligen med sitt lugn och kunnande på röntgenrond, vid handledning och i operationssalen. Vi hoppas att det här sti pendiet visar vår uppskattning och att vi hoppas att få arbeta tillsammans länge.”
Magnus Karlsson passade på att annonsera nästa års stora happening – Ortopediveckan i Göteborg, för vilken han är mötesgeneral.
– Vi på Sahlgrenska universitetssjukhuset hälsar er välkomna till Göteborg nästa år. Vi kommer att hålla till på Svenska mässan, håll utkik på nätet då hemsidan startar upp under hösten 2022, uppmanade han.
Birgitta Ekstrand tog även tillfället i akt att tacka kliniken i Ös tersund vars arrangemang hamnade mitt i det värsta covid-ut brottet – två gånger. Först 2020 då man blev tvungen att ställa in helt och därefter ställa om till en digital Ortopedivecka 2021.
– De gjorde ett fantastiskt jobb och vi vill än en gång tacka Östersund för en storartad insats!
Karolin Pettersson och Evelina Pantzar från Örebro står redan i startgroparna för 2024.
– Vi är glada för möjligheten att få anordna Ortopediveckan 2024 i Örebro, och vill hälsa er varmt välkomna!
Årsmötet gav dessutom region Jönköping klartecken att ar rangera Ortopediveckan 2025.
– Vi lovar att det blir minst lika bra som 2009 då vi senast arrangerade mötet. Den här gången har vi dessutom med oss Värnamo och Eksjö, berättade Daniel Wärnsberg från arrangörsgruppen.
Irina Sjölund, Uppsala Felicia André, Göteborg Johannes Jernberg, Eksjö Oscar Ekelund, Malmö Arta Yaqma, Värnamo Marcus Malmqvist, Linköping Erik Jansson, Lund Rafael Flisberg, Helsingborg Tobias Kyrk, Eslöv Jens Andersson, Örebro Desirée Grybäck Ernestad, Linköping Karin Johansson, Västerås Marcus Svensson, Skövde Maria Ström, Lund Yan Li, Stockholm
Anatomica AB Stora Åvägen 25 436 34 ASKIM
Kontakt: Sverker Stomberg sverker.stomberg@ anatomica.se www.anatomica.se
Arthrex Sverige AB Textilgatan 43 120 30 STOCKHOLM
Kontakt: Johan Karlsson johan.karlsson@arthrex.se www.arthrex.se
DePuy Synthes Kolonnvägen 45 170 67 SOLNA Tfn: 08-626 22 00 info.se@synthes.com www.depuysynthes.com
Episurf Europe AB Karlavägen 60 114 49 Stockholm
Kontakt: Veronica Scholz Castro nfo@episurf.com www.episurf.com
Heraeus Medical AB Vasagatan 28 111 20 Stockholm
Kontakt: Eva Norrbin eva.norrbin@heraeus.com www.heraeus-medical.com
Link Sweden AB Box 180 184 22 AKERSBERGA
Kontakt: Gunilla Eriksson link.sweden@linksweden.se www.linksweden.se
ConMed/Linvatec Sweden AB Datavägen 10 D 436 32 ASKIM
Kontakt: Patric Eriksson patriceriksson@conmed.com www.conmed.com
RSA Biomedical AB Box 797 907 19 UMEÅ
Kontakt: Per Grundström per.grundstrom@ rsabiomedical.se www.rsabiomedical.se
Sectra Orthopaedics AB Teknikringen 20 583 30 LINKÖPING
Kontakt: Ulrika Vach ulrika.vach@sectra.se www.sectra.com
Smith & Nephew AB Box 143 431 22 MÖLNDAL
Kontakt: Thomas Weine Tfn: 031-746 58 00 www.smith-nephew.com
Zimmer Biomet Sweden AB Industrivägen 4 433 61 SÄVEDALEN
Kontakt: Jenny Stokke jenny.stokke@ zimmerbiomet.com www.zimmerbiomet.com
Össur Nordic AB Box 7080 164 07 Kista
Kontakt: Magnus Lilja mlilja@ossur.com www.ossur.com
Ottobock Scandinavia AB Box 4041 169 04 Solna
Kontakt: Anett GrusserPettersson anett.grusser-pettersson@ ottobock.se www.professionals.ottobock.se
Under Ortopediveckan diskuterades fotledsfrakturer under en mycket välbesökt session på torsdagen. Fotledsfrakturer är ett ämne som alltid verkar engagera och så även denna gång med en sal som blev överfull snabbt och där många fick stå utefter väggarna. Diskussionsfrågorna blev många. Kanske beroende på att alla ämnena var kopplade till högst välkända vardagsfrågeställningar vid handläggning av patienter med fotledsfrakturer.
Innan sessionen hade epidemiologi vid fotledsfrakturer med fraktur registerdata uppmärksammats under posterpuben på onsdagen där Emilia Möller Rydberg, Sahlgrenska Universitetssjukhuset (SU) nominerats till en av de fem bästa postrarna. På onsdagen höll även Caroline Stigevall, SU, ett fritt föredrag om det patientrapporterade utfallets samband med typen av fotledsfraktur, baserat på en studie från Frakturregistret. Där pre senterades ett tydligt samband mellan frakturtyp och grad av patientrapport erade besvär efter ett år. Studien visar att AO/OTA-klassifikationen är prognos tisk ur denna aspekt. En trimalleolär fraktur ger sämre PROM-resultat än en bimalleolär som i sin tur var sämre än en unimalleolär frakturtyp. Likaså ger A-skador mindre besvär än B-skador som i sin tur ger mindre besvär än C-skador. Denna kunskap är väsentlig inte minst för att kunna informera pati enter tidigt om förväntad prognos.
Torsdagens symposium inleddes med fyra föredrag av Emilia Möller Rydberg. Flertalet föredrag byggde på studier som kommer ingå i en planerad avhan dling vid Göteborgs Universitet med disputation i februari 2023. Hans Juto, Sunderby sjukhus, höll därefter två före drag som byggde på delarbetena i hans avhandling ”Studies of Ankle fractures”, försvarad vid Umeå Universitet tidig are i år. Min moderatorskollega Daniel Wenger från Malmö redovisade en stud ie från Malmö publicerad under förra året där en posterolateral plattplacer ing på fibula framhölls som bättre än lateral placering avseende behov av reoperation med plattextraktion. Nedan följer korta sammanfattningar av de sex föredragen från de två aktuella avhandlingarna, först Emilia Möller Rydbergs och därefter Hans Jutos.
Med användning av många diagram och tester av auditoriets epidemiologi kunskaper med mentimeterfrågor belystes ämnet utifrån det hisnande antalet av närmare 60 000 fotleds frakturer hos vuxna i Sverige under de senaste 10 åren. Fotledsfrakturer är vanligast hos kvinnor i åldrarna 60-80 år och samma patientgrupp är de som oftast ådrar sig de öppna frakturerna. Det syns en tydlig säsongsvariation med övervikt under vintermånader na. Denna variation beror helt på fall i samma plan som orsakar B-frakturer och där är den isolerade B1-frakturen (laterala malleolen) den klart vanligaste. Alla andra skadeorsaker liksom A- och C-frakturtyper har likartad förekomst alla årets månader.
Här redogjordes för två artiklar som publicerats utifrån kohorter med två års fotledsfrakturpatienter på SU. Syftet var att studera bl a operationsfrekvensen av B1-frakturer dvs frakturer som bedömts stabila och bara ska omfatta lateralsidan. Efter introduktionen av en struk turerad rutin har operationsfrekvensen sjunkit från 30% (nära riksgenomsnit tet) till 10%. Efter implementeringen av rutinen märktes också en betydligt ökad andel som fick belasta fullt direkt (vilket alla skulle ha fått sedan länge men vilket inte efterlevts) och ökad andel där medialt status var kommenterat i journal. Hos mindre än 1% av pa tienterna ändrades behandlingen från icke-kirurgi till kirurgi efter en veckokontroll med röntgen. Därför har nu även denna kontroll avslutats i klinikens rutin.
En litteraturgenomgång presen terades och det kan slås fast att mediala frakturer kan om de är odis locerade eller minimalt dislocerade behandlas icke-kirurgiskt med gott resultat. Randomiserade studier har visat att det räcker med en skruv me dialt då dessa frakturer inte havererar i rotation utan pga kompression eller snarare brist på kompression. Vid val av skruv finns det nu flera biomekaniska studier som stödjer vår kliniska erfarenhet av att en helgängad skruv 4.0mm ger bättre kompression än den vanligen förespråkade halvgän gade skruven.
Då man registrerar en fotledsfraktur i Frakturregistret får man upplysningar och motfrågor kring sin klassifikation av frakturen och sitt val av behandling. Där presenteras en rekommendation utifrån vad som kan betraktas som gäl lande konsensus/lärobokskunskap och man får en upplysning om operationsandelar för egen klinik och alla kliniker i landet sammantaget under föregående år. Före kunskapsstödet introducerades hade det utvärderats i en pilotstudie på fyra klinker med enkäter och intervjuer. En stor majoritet ansåg kunskapsstödet positivt och vid efterkontroll visar sig enbart enstaka procent ange att de inte instämmer i rekommenderat behandlingsval. Dessa resultat är också publicerade.
Den ständigt aktuella frågan kring sjukskrivningstidens längd har stud erats av Hans Juto i en samkörnings studie med data från Frakturregistret avseende frakturklassifikation mm och Försäkringskassan avseende sjukskrivningstid. Det finns ett närmast linjärt samband mellan patientrapporterat utfall och sjukskrivningstidens längd. En riskfaktor för längre sjukskrivningstid var dock också ifall patienten tidigare haft en annan sjukskrivningsperiod. Ett samband mellan frakturens svårighets grad enligt AO-klassifikationen och sjuk skrivningstidens längd noterades också.
data från Frakturregistret, Patientregis tret och Läkemedelsregistret studerades sambandet mellan given trombosprofylax och andelen patienter med fotledsfraktur som drabbats av trombos eller emboli. Här studerades kliniker nas rutiner enligt deras egna uppgifter och där trombosprofylax förskrivits på recept nyttjades även uppgifter om expedierade recept från Läkemedelsregistret. Under de två första veckor na drabbades enbart en patient av 5332 som fått trombosprofylax av VTE. Bland de 9622 patienter som inte fått profylax fanns 39 fall med VTE. Under hela behandlingstiden av sex månader från fraktur drabbades 1,6% av VTE på kliniker som har som rutin att ge trom bosprofylax mot 2,7% på kliniker som inte ger detta rutinmässigt. I vart fall vid kirurgiskt behandlade fotledsfrakturer tycks det vara indicerat att ge trombos profylax.
Det välbesökta fotledsfraktursymposiet engagerade som vanligt många. Kan hända fortsätter diskussionen på SOTS (Sveriges Ortoped Traumatologiska Säll skap)-mötet i januari 2023 i Stockholm där temat också blir fotledsfrakturer.
Emilia Moller Rydberg, Tina Zorko, Mikael Sundfeldt, Michael Moller, David Wen nergren Classification and treatment of lateral malleolar fractures - a single-center analysis of 439 ankle fractures using the Swedish Fracture Register, BMC Mus culoskeletal Disorders, doi.org/10.1186/ s12891-020-03542-
Juto H, Hultin M, Möller M, Morberg P. Routine use of LMWH prophylaxis is asso ciated with a lower incidence of venous thromboembolic events following an ankle fracture. Injury. 2022; 53(2):723-738. doi: 10.1016/j.injury.2021.11.028.
Juto H. Studies of Ankle Fractures: Classi fication, Epidemiology, Complications and Results. Thesis. Umeå University. 2022. ISBN 978-91-7855-7117. ISSN 0346-6612.
Emilia Möller Rydberg, Johan Insulan, Ola Rolfson, Maziar Mohaddes and Linda Ahlstrom
Knowledge support for ankle fractures in the Swedish Fracture Register – a qualitative study of physicians’ experienc es, BMC Health Services Research (2022) 22:382, https://doi.org/10.1186/s12913022-07799-5
Emilia Möller Rydberg, Jonas Skoglund, Hampus Brezicka, Jan Ekelund, Mikael Sundfeldt, Michael Möller and David Wennergren Fractures of the lateral malleolus – a retrospective before-and-after study of treatment and resource utilization follow ing the implementation of a structured treatment algorithm
BMC Musculoskeletal Disorders (2022) 23:401 https://doi.org/10.1186/s12891022-05358-x
Carter, T. H., Duckworth, A. D., & White, T. O. (2019). Medial malleolar fractures: current treatment concepts. Bone Joint J, 101-B(5), 512-521. doi:10.1302/0301-620x.101B5.BJJ-20190070
Carter, T. H., Mackenzie, S. P., Bell, K. R., Hollyer, M. A., Gill, E. C., MacDonald, D. J., White, T. O. (2019).
Selective fixation of the medial malleolus in unstable ankle fractures. Injury, 50(4), 983-989.doi:10.1016/j.injury.2019.03.010
Parker, L., Garlick, N., McCarthy, I., Gre chenig, S., Grechenig, W., & Smitham, P. (2013). Screw fixation of medial malleolar fractures: a cadaveric biome chanical study challenging the current AO philosophy. Bone Joint J, 95 b(12), 1662-1666. doi:10.1302/0301620x.95b12.30498
Michael Möller Ortoped Sahlgrenska Universitetssjukhuset Registerhållare FrakturregistretBuckley, R., Kwek, E., Duffy, P., Korley, R., Puloski, S., Buckley, A., . . . Schneider, P. (2018). Single-Screw Fixation Compared With Double Screw Fixation for Treatment of Medial Malleolar Frac tures: A Prospective Randomized Trial. Journal of orthopaedic trau ma, 32(11), 548-553. doi:10.1097/ BOT.0000000000001311
Ett välbesökt symposium hade titeln vård på gränsen till sam manbrott – vilken omställning krävs? Fyra talare gav olika aspek ter på vad som krävs för att undvika ett hotande sammanbrott och vända utmaningarna till ett möjligt genombrott.
Björn Zoëga, (sjukhuschef på Karolinska) talade om Karolinskas resa från stora ekonomiska underskott, hög personalomsättning, dålig tillgänglighet och övervägande dålig press till överskott ekonomin, sänkt sjukfrånvaro, minskad personalomsättning, fler som söker lediga jobb, fler vårdplatser, och ökad kvalitet.
Resan har medfört att Karolinska rankas topp 10 i världen av alla sjukhus, tre år i rad. Björn beskrev vilket ledarskap som han anser krävs för att lyckas med förändrings och förbättringsarbete. Kommunicera att allt är möjligt, minska administration, se staber som stödjande, färre chefer, delegera mandat och ansvar till verksamheterna och medarbetarna. Alla måste känna att Vi sjukhus Vi når dit vi vill tillsammans.
BJÖRN ZOËGABjörn Zoëga, (sjukhuschef på Karolinska) talade om sjukhusets resa från stora ekonomiska underskott, hög personalomsättning, dålig tillgänglighet och övervägande dålig press till överskott i ekonomin, sänkt sjukfrånvaro, minskad person alomsättning, fler som söker lediga jobb, fler öppna vårdplatser och ökad kvalitet.
Resan har medfört att Karolinska sjukhuset har rankats topp 10 av alla sjukhus i världen, tre år i rad. Björn Zoëga beskrev vilket ledarskap som han anser krävs för att lyckas med ett förändrings- och förbättringsarbete, nämligen: Kommunicera att allt är möjligt, minska administration, se staber som stödjande funktioner, ha färre chefer, delegera mandat och ansvar till verksamheterna och medarbetarna. Alla måste känna att "vi är ETT sjukhus – vi når dit vi vill tillsammans".
Björn Zoëga tror inte att vi löser de utmaningar som svensk sjukvård står inför med nuvarande arbetssätt och arbetsfördelning och avslutade med följande råd till sjukhusledningar; Bygg rälsen – ge rätt förutsättningar, jobba med ”varföret”, ”ett sjukhus – en ge mensam uppgift” och låt professioner na lösa problemen.
Frågor från publiken till Björn ZoëgaHur gjorde ni i en så stor organisation för att göra alla delaktiga?
Björn Zoëga beskrev att vi inte löser de utmaningar som svensk sjukvård står inför, med nuvarande arbetssätt och arbetsfördelning. Björn Zoëga avslutade med följande råd till sjukhusledningar; rälsen ge rätt förutsättningar, jobba med ”varföret”, ”ett sjukhus gemensam uppgift” och professionerna lösa problem.
– Ganska enkelt, innan den stora förän dringen, den gjorde vi dagen innan mid sommar 2019, så höll vi öppna möten med mig. Jag hann med åtta såna möten. Intresset var måttligt, folk trodde inte att det skulle funka. Vi hade under hela processen en förslagslåda och alla kunde se alla förslag som kom in.
– Att få folk att tro och hålla i och hålla ut, istället för att tänka "här kommer ännu en galen kille". Det är svårt att ändra kulturen men det handlar om att ha en enkel strategi och berätta om den hela tiden. Jag skickar ett mail som går ut till alla anställda varje fredag, I det berättar jag kort om det som är på gång och om och om igen berättar jag om strategin.
Personal stannar – gäller det alla?
– Det är olika. Det är störst omsättning på sjuksköterskor. Överläkarna – de vill helst dö därinne. Efter något år hade vi en omsättning på överläkare på endast 1%.
Vilket är råd vill du ge till HR i den offentliga sektorn?
– Säg ja, och kom ihåg att HR styr inte sjukhuset. Några blir sura och minst två har slutat hos oss. Men vi har inte ändrat oss, HR är ett serviceorgan för att hjälpa klinikerna att nå sitt mål.
Anna Stefánsdóttir (sektionschef artroplastik inom ortopedin på Skånes universitetssjukhus, Anna Nilsdotter (verksamhetschef inom ortopedin på Sahlgrenska, SU) modererade. Magnus Björn Zoëga.David Sparv (PhD och chefssjuk sköterska på SUS) talade om två projekt som drivs inom SUS för att behålla och kompetensförstärka personal – core curriculum och Mag net4Europe.
I en kunskapsorganisation behöver man jobba med fakta och kompetens, säger David Sparv. Han använder gärna fotbollstermen ”anfall är bästa försvar” och menar att man måste ”vägra vara ett offer”.
Men hur gör man då för att få med alla? Det enkla svaret är att man inte kommer att få med alla, men en kritisk massa, och det räcker. Det finns alltid de som tycker att förändringar är job biga.
– Det finns en tendens till att ”sagan” om varför det är som det är sprider sig, men här måste man följa fakta och ly ssna på professionen, säger David Sparv och berättar samtidigt att man sedan 2012 inte har undvikit att anställa en enda läkare eller sjuksköterska på SUS. Man har dessutom haft väldigt svårt att hitta, behålla och utveckla den person al man har haft.
Det första man måste vara klar över, menar David Sparv, är ”varföret”. Varför
jobbar människor inom vården? Jo, för att man vill ta hand om sjuka männis kor i en vårdsituation. Därtill finns det många andra anledningar till varför man trivs eller ej på sitt jobb.
När David Sparv tillträdde 2017 började han med att utarbeta en core curriculum för sjuksköterskor, som beskriver vilken kompetens kliniken behöver. Tidigare hade man till varje pris försökt vara en attraktiv arbetsgivare som närmast stod med mössan i hand och sa att vem som helst kunde få komma och jobba där, bara man fyllde en rad.
En kompetensstege kan vem som helst rita upp, men få fattar den. Den måste tydligt visa att det lönar sig att stanna och bli duktig inom en special itet. Dessutom ska det vara tydligt när du är behörig att söka en ny tjänst och kunna kliva upp ett pinnhål lönemäs sigt.
– Vi visste att det skulle bli en stor omställning, eftersom vi nu skulle börja bygga en struktur för ett kontinuerligt lärande för en god och säker vård. Vi kommer inte att ge vika, inte en chans att vi gör det när vi kommit så långt, säger David Sparv.
Magnet4Europe är en studie som SUS har gått med i. Modellen är utvecklad med utgångspunkt i svårighet med bemanning och kompetensförsörjning
och nu har SUS tagit in den som modell för omvårdnad.
– Det är ett historiskt beslut av en sjukhusledning, och det ger oss stora mö jligheter till omställning, säger David Sparv.
Magnus Eneroth, Södra Regionens NPO-representant i Rörelseorgan ens sjukdomar och tidigare verk samhetschef under många år inom ortopedin på SUS, beskrev hur han och NPO ser på utmaningarna i svensk sjukvård i allmänhet och svensk ortopedi i synnerhet.
Magnus Eneroth menar att vi känner till alla utmaningar (se bild 1) men har idag stora svårigheter att hantera dem.
Mer privat vård har medfört att de friskaste ortopedpatienterna har relativt god tillgänglighet medan de sjukaste får allt sämre tillgänglighet på grund av mindre kapacitet på sjukhusen. Det går emot behovs- och solidaritetsprincipen som föreskriver att vårdens resurser ska satsas på de patienter som har störst behov. Många regioner agerar på kort sikt och tar inget ansvar för helheten. 40% av alla ledplastiker och 60% av alla spinala stenoser görs privat idag. När man tappar kapacitet och kompetens på sjukhusen i den omfattning som skett de senaste åren så uppstår en mängd risker.
Denna onda cirkel leder till stora prob lem för den regionala vården: tillgängligheten blir allt sämre
• ytterligare dränering av personal och kompetens
• kapaciteten minskar ytterligare
• svårt att ta hand om både elek!va och akuta flöden de sjukaste ortopedpatienterna
får (har) sämst tillgänglighet till operation
• svårt att klara utbildningsuppdraget minskad rekryteringsbas för dokto rander och handledare färre som kan bidra till jourverk samhet
• färre som kan ta hand om det mest komplicerade
– Vi behöver en nationell handlingsplan som är gränsöverskridande och långsiktig. Offentlig och privat vård ska inte konkurrera, utan måste kom plettera varandra. Vi vill se ortopedi som en gemensam nationell resurs och att man tillåts jobba både privat och offentligt. Vi behöver ta ge mensamt ansvar för vård, utbildning, utveckling och forskning och hoppas att detta ska ske i dialog med SKR, professorsnätverket samt företrädare för de privata vårdgivarna, säger Mag nus Eneroth.
Han berättar även att vi i Sverige har väldigt få vårdplatser men stora kost nader och mycket personal i relation till andra OECD-länder. Någonstans gör vi uppenbarligen fel och kommer inte att kunna lösa hälso- och sjukvårdens problem genom att anställa fler, de finns inte i den omfattning som dagens arbetssätt kräver.
Svensk sjukvård har goda hälsoutfall, men har samtidigt längre väntetider än övriga Europa. Här finns utrymme att öka effektiviteten.
Är vi på gränsen till sammanbrott? – Nja, svarar Magnus Eneroth, men
säger samtidigt att vi måste göra en omställning. Men vad ska vi göra?
– Det är nödvändigt att ändra det sätt vi arbetar på för att kunna klara av gapet mellan kapacitet och behov, redan nu men än mer i framtiden. Med stuprörstänkande och kortsiktighet går det inte att göra den omställningen.
Målet måste bli mycket mer vård med färre anställda. För att klara det är det helt nödvändigt att vi förändrar våra arbetssätt, förhållningssätt, samarbeten och strukturer.
– De viktigaste åtgärderna som jag ser det är att säkra kompetensförsörjnin gen, samarbeta över gränser, ställa om mot nära vård och genomföra en digital transformation, säger Magnus Eneroth.
Han ser även nödvändigheten i en digital transformation, som innebär helt nya sätt att erbjuda en tjänst, vilket ofta också inbegriper organisatorisk omställning.
– Man måste ha förändringsledare som klarar detta. Det är inte lätt, för det krävs en kulturförändring, och det är svårt att ändra gamla vanor. Man bru kar säga att det tar en generation, 37 år, att förändra en kultur. De som lyck ats bäst har börjat från scratch. Micro soft och Google hävdar att de gjort en digital transformation på riktigt. Kanske har de lyckats?
Magnus Eneroth menar att den stora svårigheten är att gå från tankar och visioner till att faktiskt göra något.
• Kapacitet
Kompetensförsörjning
Demografi
Ekonomi
• Medicinsk och teknisk utveckling
Befolkningens förväntningar
• Styrning & ledning
• Digital infrastrukturBild 1. Hälso- och sjukvårdens utmaningar. Magnus Eneroth.
Emma Spak, sektionschef på SKR, talade om den nationella omställningen till nära vård.
– Jag skulle inte vilja säga att vården är på gränsen till sammanbrott. För att bryta ihop är inte ett alternativ. Men varför måste vi ställa om? Jo, för att färre måste försörja och ta hand om fler, säger hon.
Emma Spak slår fast att det är oekonomiskt att ha en ojämnlik hälsa samt att det finns en stor potential i och med digitaliseringen, bland annat att patient en ges möjlighet till egenmonitorering, och kan följa sin sjukdom. Det är viktigt att undvika sluten vård för kroniskt sjuka.
Om man ska behålla den personaltäthet vi har idag, skulle hälso- och sjukvården behöva konsumera 46% av de unga som kommer ut i arbetslivet under många år framöver.
– Det kommer aldrig att funka. Vi måste planera på helheten och utnyttja den personal vi har rätt, helt enkelt produktionsplanera bättre. Det kommer inte att finnas fler. Det går inte heller att få politisk panik utan här krävs en långsiktighet, att man tar i hand på att ”detta gäller”, så att det blir tydligt för de som ska leda verksamheterna, samtidigt som man bygger ett starkt ”varför”.
Alla måste dessutom bottna i målet. Man måste börja göra, agera. Man måste få testa och misslyckas. Ett nytt system måste till, säger Emma Spak.
– De händer som finns måste används på bästa möjliga sätt. Att korta ner arbetstider är ingen lösning, så många som möjligt måste jobba heltid. Fler måste dela på den tyngsta bördan. Minska behovet av akut vård, monitore ra de som behöver i öppenvård. Se till att gamla patienter inte kommer till sjukhus.
Vad skulle ni säga om ni fick dricka en kopp kaffe med nästa hälso- och sjukvårdsminister?
– Satsa på en nationell digital in frastruktur, som innebär att vi kan kommunicera med varandra oav sett om man jobbar i kommunen, på sjukhusen, eller privat. Vi kan då utnyttja potentialen i vårddata för att till exempel utveckla smartare sätt att ställa diagnos och rikta behandlingar.
Magnus Eneroth– Se till att klinikerna slutar konkurrera med varann, en enhetlig nationell modell för kompetensförsörjning behövs.
David Sparv– Få en bred enighet för att lägga om inriktningen för svensk hälso- och sjukvård. På riksnivå en tydlig kontakt med kommuner och regioner. Det är inte organisationen det är fel på, snarare organiseringen.
Emma Spak– Håll er till en linje, vi behöver få vara ifred från 180 graders böjningar som stökar om på spelplanen.
Björn ZoëgaHur får man personal att stanna kvar om de via bemanningsföretag får dubbelt så hög lön?
– Lönen har inte varit drivkraften, snara re en frustration, som gör att man flyt tar över dit. Arbetsmiljö och delaktghet trumfar inte sällan lön.
Emma Spak
Varför använder vi bemanningsföre tagen? Om vi konkurrerar mot oss själva så trissas bara priset upp. Det är odemokratiskt.
Björn Zoëga
Vad ska jag börja med i ett förän dringsarbete?
– Man måste förstå varför man behöver röra sig. Ange en riktning för vart man är på väg och se till att stödja de medarbetare i verksamheterna som kommer med de goda och kanske transformerande idéerna.
Magnus Eneroth– De anställda måste tillåtas prova, skydda rebellerna – de som törs och provar nytt. Vi är så benägna att alla ska göra lika och rättvist.
Höftdysplasi är ett underdiagnosticerat fynd hos unga vuxna patienter med höftsmärta. Höftdys plasi kännetecknas av ett acetabulum som är brantare, grundare och ofta mer anteverterad vilket resulterar i en försämrad täckning av caput.
Höftdysplasi, definierat som en CE-vinkel under 20 grader, har nyligen visats föreligga hos drygt 5% av den svenska befolkningen (referens) men andelen patienter som utvecklar symtom är långt mindre.
Fördröjd eller utebliven diagnos och behandling leder till långvarig kantbelastning av acetabulum, labrumskada och broskdelaminering som i sin tur kan resultera i tidig artrosut veckling, ibland redan vid livets tredje eller fjärde årtionde.
De flesta vuxna patienter med höftdysplasi saknar en positiv förlossningsanamnes på höftåkomma som höftglidning eller luxation. I dagsläget vet vi därför inte under vilken period under uppväxten som höftdysplasi uppstår men inten siv forskning pågår på området. För den som drabbas av smärtsam höftdysplasi i vuxen ålder är det inte ovanligt att fastna mellan fysioterapeuter och allmänläkare och det kan ta tid innan första röntgenundersökning är gjord.
En nyligen publicerad svensk studie (referens) visar dessutom att röntgenutlåtandet oftast ”friar” den dysplastiska höftleden i avsaknad av skelettskada eller artros och remis sen till ortopeden uteblir. Röntgenläkare, allmänläkare och ortopeder behöver därför ha kunskap om detta område för att tidigt diagnostisera, remittera och behandla dessa pati enter korrekt.
Dysplasi medför en ökad risk för att utveckla coxartros. Artros i ung ålder är ett problem då proteskirurgi inte är optimal för unga p.g.a. höga funktionskrav och risk för upprepade revisioner. Istället är periacetabulär osteotomi (PAO) standardbehandling internationellt för symtomgivande höft dysplasi hos vuxna som inte hunnit utveckla coxartros. Det innebär att acetabulum sågas och mejslas ur och vinklas om för att öka täckning av caput. Syftet är att minska symtom, öka funktion och fördröja artrosutvecklingen i leden. Resul tatet är som bäst när PAO utförs relativt tidigt efter symp tomdebut och innan höftleden hunnit drabbas av coxartros. Förekomst av subkondrala cystor och osteofyter är därför dåliga prognostiska faktorer.
Kirurgisk behandling av höftdysplasi är dock tekniskt svår och erbjuds endast på ett fåtal sjukhus i landet. Den be gränsade kunskapen har även inneburit att en del patienter fått remitteras utomlands för att få sin behandling. Även bland ortopeder är det mindre känt var kirurgisk behan dling erbjuds, vilka metoder som används och på vilken indikation.
Den 10 juni 2022 samlades en grupp ortopeder med spe cialintresse för området i Örebro för ett expertmöte. Repre sentanter deltog från Göteborg, Lund, Stockholm, Uppsala och Örebro. Syftet var att skapa diskussion och lägga en grund för vidare samarbete och utbildning på området.
På mötet avhandlades många aspekter av höftdysplasi, som symptomatologi, röntgendiagnostik och naturalförlopp men fokus låg på den kirurgiska behandlingen och dess indikationer. Även om detta var ett inledande möte med förutsättningar för att skapa ett varaktigt expertsamarbete i Sverige så nåddes konsensus i flera aspekter. Vi enades om att höftdysplasi är ett viktigt kliniskt problem i Sverige där kunskapen bland ortopeder, allmänläkare och röntgenläkare behöver förbättras. Ofta missas eller underskattas tillståndet vilket fördröjer och försvårar utredning och behandling av dessa patienter. Felbehandling på basen av felaktig diagnos förekommer med ibland svåra följder för patienten. PAO är en tekniskt krävande operation men med ett välfungerande nationellt samarbete kan vi förhoppningsvis optimera förutsättningarna för lyckade resultat; rätt utförd och på rätt indikation kan patienters livskvalitet ökas väsentligt.
I Sverige görs i dagsläget relativt få operationer, ca 20-25/år vilket kan jämföras med ca 100/år i både Norge och Dan mark. Eftersom vi nu vet att prevalensen av höftdysplasi är samma i Sverige som i våra grannländer kan vi utgå från att svenska patienter med höftdysplasi är underdiagnosticerade och sannolikt även underbehandlade.
Expertgruppen kommer arbeta med att sprida kunskap om diagnostik av höftbesvär hos unga. Nästa möte planeras vintern 23/24 i Örebro.
Höftdysplasi uppmärksammades glädjande nog på ett helt symposium på det nyligen avslutade SOF-mötet i Malmö. Vid sessionen pratade Ioannis Kostogiannis och Mikael San sone om diagnostik och behandling av höftsmärta hos unga vuxna, där blockad av höftleden i genomlysning eller med hjälp av ultraljud framhölls som ett viktigt hjälpmedel.
Fysioterapeut Lasse Ishöi pratade om icke-kirurgisk behan dling av höftsmärta och professor Sören Overgaard, båda från Danmark, pratade om indikationer för PAO. En annan glädjande nyhet från SOF var att ett pilotprojekt från Örebro för tidig upptäckt av höftdysplasi hos unga vuxna valdes som ett av mötets 6 bästa vetenskapliga bidrag! Studien presen terades av Frederik Berstad Møse. Sammanfattningsvis tror vi att vi är på väg mot ett trendbrott i Sverige när det gäller uppmärksamheten på detta viktiga tillstånd!
Ledprotesregistrets årsrapport publicerades på hemsidan lagom till invigningen av Orto pediveckan. Det har varit intensiva och hän delserika år sedan idén att slå ihop Höft- och Knäprotesregistren föddes för fyra år sedan. Efter mycket arbete och förberedelser kunde vi öppna registreringen i Ledprotesregistret den 1 september 2021. Det nya systemet var naturligtvis inte varit fritt från barnsjukdomar men överlag har det fungerat bra. Nu är sam manslagningen äntligen fullbordad.
rapport kom mer inte att tryckas. Det beror på att Ledprotesregistrets anslag från Sveriges Kommuner och Regioner för 2022 halverades jämfört med föregående år. För att hushålla med anslaget har registrets styrgrupp beslu tat att inte ge ut en tryckt årsrapport. Det var på tiden säger vissa medan andra kommer sakna den tryckta upplagan.
Vi har så långt som möjligt strävat efter att presentera data från knäoch höftprotesopera tioner på ett enhetligt sätt. I flera kapitel redovisas höft- och knäprotesdata tillsammans. Att se och värdera höft- och knäprotesdata tillsammans tyck er vi ger en bättre överblick över ledproteskirurgin i Sverige.
Det är slående hur pandemin har påverkat ledproteskiru rgin. I absoluta tal har cirka 16 000 färre primära höft- och knäprotesoperationer utförts 2020 och 2021 om man antar att årsvolymerna hade varit samma som under 2019. Det motsvarar mer än ett halvårs produktion.
Årets rapport innehåller en rad djupanalyser. Bland annat har vi kikat närmre på användningen av trombosprofylax där det är anmärkningsvärt stora regionala skillnader i behan dlingstid och val av preparattyp. Här finns också en analys av knäprotesesmodellen Triathlon med avseende på fixa tionsmetod. En annan djupanalys riktar in sig på risken för protesnära fraktur för olika polerade stammar.
Två år i rad har kontaktläkarmötet fått arrangeras digitalt. I år kommer Ledprotesregistret tillsammans med Svenska Höft- och Knäföreningen att arrangera ett tvådagarsmöte den 10-11 november där kontaktläkarmötet vävs in i programmet och naturligtvis hoppas vi på stor uppslutning i Stockholm.
Hip dysplasia is not un common but frequently overlooked: a cross-sectional study based on radiographic examination of 1,870 adults.
Leide et al. ACTA Orthop 2021 Oct; 92(5):575-580.
Trots att årsrapporten inte kommer i tryckt form hoppas vi på stor spridning. Hela tanken med registret är ju att åter koppla registerresultat till klinikerna runtom i Sverige så att ansvariga kan analysera sin verksamhet och vidta förbättringsarbete lokalt. Ladda ner rapporten och kolla in resultaten för din klinik (slr.registercentrum.se).
Ingen Ortopedivecka utan en hejdundrande bankett. På torsdagskvällen den 1 september samlades flera hundra festsugna personer i Malmö Arenas entré för bubbel.
Foto: Okkea MediaArenarummet, där det både spelas hockey och hålls stora konserter, hade smyckats till en pampig festsal med en jättelik ljuskrona som svävade långt däruppe ovanför våra huvuden.
Den välkomponerade middagen med till hörande dryck var en härlig anrättning och precis när den hade inmundigats släntrade Johan Glans ut på scenen och undrade försynt hur bra församlingen egentligen hade varit i slöjden i skolan.
– När det är dags för den där protesoperationen borde man nog egentligen innan be att få kolla hur bra ens kirurg presterade i slöjden. Är det misspass och dålig finish, ja, då kanske man ska dra öronen åt sig, resonerade han.
Under Ortopediveckan hölls i stora arenasalen på fredagen det högaktuella symposiet om skottskador. Malmö Arena ligger bara ett stenkast från shoppingcentret Emporia, där två personer nyligen besköts.
Trots det fruktansvärda i dödligt våld och skjutningar så är det också något som alltid fascinerat människor, sa Daniel Wenger, som modererade symposiet, med en bild av Al Pacino i rollen som gudfadern i bakgrunden. Skjutningar får otroligt mycket plats i nyhetsmedia. I populärkul turen är spektakulära skjutningar och våldsdåd en självklar del av filmer, deck are, spel med mera.
Kanske var det skräcken över utveck lingen i Sverige och önskemålet om att lära sig mer om handläggningen av skadorna, eller bara just fascinationen över skjutningar som lockade deltagar na. Symposiet blev i alla fall mycket välbesökt trots en tidig morgon dagen efter Ortopediveckans stora bankett.
Förste talare var Ardavan Khoshnood, docent och universitetslektor i akutsjukvård och överläkare i akutsjukvård vid Skånes universitetssjukhus, dessutom kriminolog och statsvetare. I ta beller och diagram visade han skräm mande siffror över hur skjutvapenvåld och skjutvapenrelaterade dödsfall stadigt ökar i Sverige. Sverige är med i toppen av den dystra listan över mest dödligt våld orsakat av skjutvapen i Eu ropa, bara Kroatien har fler dödsskjutningar. Ca 20 år tillbaka såg det helt annorlunda ut och vi var i stället bland de länder i Europa med minst dödliga skjutningar. Vad är det som har hänt?
Dr. Khoshnood beskrev flera potenti ella orsaker till det aktuella läget. Till exempel ett massivt inflöde av skjut vapen till Sverige och en misslyckad integrationspolitik. Han beskrev också
en teori om att de tidigare ”kriminel la gängen” bytts ut mot ”kriminella nätverk”. Gängen, exempelvis de ökän da MC-gängen, hade en tydlig hierarki med en ledare som försökte ”hålla ordning” så att så mycket som möjligt av kriminell affärsverksamhet kunde ske under polisens radar. Gängmedle mmarna var också lojala mot varandra. I de nya nätverken finns ingen sådan struktur och lojalitet. Medlemmar tas in och byts ut, samarbetspartners väljs ut efter vad som passar för stunden och medlemmar tvekar inte att göra sig av med sina gamla kompanjoner. Detta bidrar till en instabilitet, som förstärks av avsaknaden av en stark erfaren le dare som håller ordning. Många med
lemmar är mycket unga och oerfarna. Man anstränger sig inte för att ”arbeta diskret i skymundan” utan konflikter löses även på ljusa dagen, i offent ligheten. Ett exempel är skjutningen inne i det folkfyllda shoppingcentret Emporia.
Dr. Khoshnood menar att det kom mer ta många år att vända trenden. Politiker pratar om högre straff, men så få av de kriminella ställs inför rätta att det i nuläget skulle göra en marginell skillnad. Han menar att det krävs ett omfattande förebyggande arbete.
Andre talare var överläkare och med dr Karl-Åke Jansson, ortopediska klinik
Ardavan Khoshnood visade skrämmande statistik över de senaste årens skjutvapenvåld. Den översta rutan visar antalet skjutningar per år, den mellersta antalet skadade människor per år och den nedersta antalet dödade i skjutningar per år. Märk väl att 2022 års siffor endast sträcker sig fram till september.en, Karolinska universitetssjukhuset. Dr. Jansson började med att ge en lektion i ballistik, projektilverkan och skademe kanism. Genom att ställa frågor till pub liken som besvarades med mentome ter både före och efter hans föredrag kunde man se en snabb utveckling av åhörarnas kunskap kring bl.a. skillnaden mellan hög- och låghastighetsvapen, in- och utgångshål och formeln för projektilens rörelseenergi.
Därefter gick han vidare till det alla inom ortopedin numera bör vara förberedda på: hur man handlägger skottskadade patienter. Prehospitalt bör alla patienter initialt omhändertas enligt PHTLS-principen. Stora blödning ar stoppas i första hand med högläge och tryckförband och i andra hand med tourniquet. Väl på sjukhus fortsät ter man enligt ATLS-principen. En så noggrann anamnes som möjligt bör tas inklusive frågor om vapentyp. Var noggrann med att kontrollera distalstatus och eventuellt ankel/brachial index. Ordinera tetanusprofylax och antibi otika. Tvätta såren med koksalt, räkna kulhålen och markera dem med E-vi taminkapslar eller gem inför röntgen. Beställ DT angiografi vid behov. Det är viktigt att fotodokumentera såren efter skotten. Fotona fungerar både som underlag för behandlingsdiskussion med kollegor och kan vara av stor vikt för senare utredningar. Det är mycket lättare för rättsmedicinare att göra bedömningar av såren så som de såg ut när patienten kom in än efter kirur gisk revision.
Såren är nästan alltid i behov av revi sion. Primärjouren är ofta den som tar emot dessa patienter akut, och det är viktigt att en ortoped med tillräcklig erfarenhet och kunskapsnivå är med vid ev. kirurgi. Recessera devitaliserad
vävnad, plocka bort lösa benbitar, spara så mycket hud som möjligt för sena re täckning och lämna såren öppna. Värdera om det verkligen finns behov av att ta bort kulan, många gånger leder det till onödiga extra incisioner som egentligen inte gynnar patienten. Undantag är om kulan sitter inne i en led eller i spinalkanalen. Om kulorna tas ut, lägg i separata burkar och tvätta ej. Gör en ny bedömning av såret, en ”second look” inom 24-48 timmar.
Frakturer handläggs som öppna frakturer. Om högenergiskada med stor mjukdelsskada blir det ofta aktuellt med extern fixation initialt. Vid lågener gi med mindre mjukdelsskada kan en stabil fraktur behandlas icke-kirurgiskt och en instabil med definitiv frak turkirurgi direkt.
Siste talare var Peter Krantz, pen sionerad rättsläkare och fd. chef för rättsmedicinska avdelningen i Lund, dessutom docent, universitetslektor och ledamot i Socialstyrelsens rättsli ga råd. Dr. Krantz inledde med att påtala de stora skillnader som skiljer den kliniska läkarens och rättsläkarens uppdrag. Båda undersöker patienten och ställer diagnos, men den kliniska läkarens mål är att initiera en behan dling medan rättsläkaren vill finna en kausalitet. Förutom att stödja polisens utredning är rättsmedicinaren också en del av förundersökningen och ett stöd för domstolen. Klinikern tänker: vad är detta för skada och hur ska vi bota den? Rättsläkaren tänker: vad är detta för en skada och hur har den uppkom mit? Den kliniska läkaren måste vara relativt säker på sin sak för att ställa en diagnos, men inte 100%, t.ex. ”sanno likt beror den här smärtan på artros”. För rättsmedicinaren är relativt säker långt ifrån tillräckligt. Uppdraget är att
klarlägga en eventuell brottslig gärning och läkaren måste vara >99% säker in nan denne kan uttala sig om kausalitet.
Så vad är det rättsväsendet vill veta när en patient skottskadats? Vapentyp, lo kalisation, antal skador/träffar, riktning, kroppens läge vid skadetillfället, all varlighetsgrad, ”dolus, culpa eller casus” (med uppsåt, genom vårdslöst hand lande eller olyckshändelse), eget eller annans vållande, antal gärningsmän och hur säker rättsmedicinaren är i sin bedömning. Hur kan vi som ortopeder bidra? Dr. Krantz rekommenderade att man skriftligt dokumenterar en översiktlig skadebeskrivning och vilka åtgärder man utfört samt att man fotograferar skadorna, både översiktsbilder och närbilder och att man tillvaratar kläder m.m.
Han påtalade också två mycket viktiga saker att tänka på som kliniker: 1. Att det är oerhört viktigt att man undviker att göra bedömningar av eller uttalan den om kausalitet, detta kan ställa till stor skada då rättsväsendet kan känna en stark tilltro även till en icke-kvalifi cerad bedömning. 2. Man kan känna sig pressad att uttala sig till media eller polis – men gör inte det, tänk på sekretessen!
Linnea Arvidsson Specialistläkare ortopedi Skånes UniversitetssjukhusAtt vara moderator för ett sympo sium klockan 08.00 fredag mor gon efter banketten är en utman ing. Dessutom ett symposium som handlar om mardrömmen, komplicerade patienter som inte blir bättre av våra ansträngningar utan till sist kanske landar i en infektion, kan tyckas vara en dub bel förbannelse.
Lägg dessutom till att det var obligatorisk närvaro för de ST-läkare som gått proteskurs och nu skulle tenteras så skulle fredagen kunna bli en tuff uppförs backe fylld av trötta deltagare som vill åka hem.
Så blev det inte alls! Istället var det en entusiastisk samling hyfsat utvilade åhörare som fyllde salen innan klockan ringt in!
Professor Per Wretenberg inledde med en gedigen genomgång av vad man måste tänka på innan man oper erar in en höftprotes i en patient för att minimera riskerna att det blir fel. Sanningen är såklart att det är så my cket bättre att förebygga problem, än att behöva lösa dem senare. Varje nytt ingrepp kan skapa nya problem och landa i en infektion eller andra allvarli ga komplikationer.
Korrekt preoperativ planering, välja rätt proteslösning som tar hänsyn till patientens anatomi, förutsättningar och behov är en bra början. En plan
B för problemlösning under opera tionen, använda tekniska hjälpmedel såsom navigation, ha god kännedom om patienten borgar också för säkrare operationer med bättre resultat och riskminimering.
Professor Kjell-Gunnar Nilsson från Umeå fortsatte sedan med den kom plicerade knäprotespatienten. Generellt är andelen missnöjda patienter högre i knäprotesgruppen än höftprotesgrup pen. Patientförväntningar har nog en del i det, men många operatörsbero ende källor finns och Professor Nilsson gick igenom dessa.
Felrotation av komponenter, ligamentär obalans, felaktigt protesval, dis harmoni i extensions och flexionsgap, lossning av komponenter. Alla dessa varianter skapar proteser som inte fungerar, eller fungerar dåligt och patienter som inte är nöjda, kommer på återbesök och vill bli bättre. Det är då lätt att erbjuda ytterligare operation, såsom kompletterande patellaknapp. Vikten av nogsam utredning med ny radiologi (långa bilder, patellaaxial, CT-protokoll) och analys av patientens besvär kan inte nog betonas liksom flera besök och restriktivitet i att opere ra om det inte finns tydlig anledning.
Anna Stefánsdóttir tog sedan vid på sedvanligt lugnt och kompetent vis. Hennes del i symposiet var en fortsättning på den föreläsningen hon höll under proteskursen i våras. Infek tion är såklart något av det tyngsta som drabbar patienten, på något vis är det ortopedins cancervård med tuff behan
dling, långvariga sjukhusvistelser och flera operationer om det vill sig illa.
Hög misstänksamhet vid diffusa symptom, adekvat utredning och gott samarbete med mikrobiolog och infektionsklinik är A och O. Vid tidiga infektioner eller hematogent spridda dito med snabb debut, är DAIR golden standard. Minst 50% av proteserna kan räddas om en DAIR görs korrekt av proteskirurg. En positiv odling räcker vid högvirulenta mikrober!
Avslutningsvis fick alla som inte deltagit i proteskursen motvilligt lämna salen, så vi kunde tentera kursdeltagar na. Detta skedde i mentimeterform, vilket skapade delaktighet och diskus sion kring frågorna som täckte innehål let i kursen. Maziar Mohaddes och Olov Sköldenberg var enväldiga domare och kunskapen hos våra ST-läkare god!
Slutligen kan väl påpekas att vi kommer få komplikationer i vårt yrkesutövande. Det viktiga är hur vi tar hand om dem och våra patienter!
På fredagsmorgonen avhandlades symposiet ”Im plementerad Innovation” med tre breda exempel på lösningar som alla utgått från ett behov i vården och som gått förbi idéstadiet och blivit till något.
Först ut var Ida Kindlund, sjukgymnast från Capio Artro Clinic i Stockholm. Ida berättade om sin korsbands- och knäplastikapp där patienterna utrustas med ett digitalt vårdstöd. Patienterna får inför en operation vid ett och samma tillfälle väldigt mycket information. Informationen är bra, förfinad över många år men det är mycket att ta in och komma ihåg.
I projektet ”Bättre förberedda patienter” omarbetades befintlig information till korta notiser. Patienterna får nu informationen via en webplattform med sms-notiser anpassat till rätt tidpunkt i deras egen rehabresa. Vården får notiser vid avvikande svar från patienten och kan arbeta behovsbaserat istället för rutinbaserat. Nio av tio patienter använder stödet, och inte minst, sena stryk ningar minskade i gruppen som använt sig av appen.
Nästa ut var Max Gordon från Danderyd. Max berättade om sitt Clinical AI research-lab (CAIR) som fungerar som en nod för AI-projekt. Exempel gavs på ”cool stuff” i pipelinen, såsom AI vid bildtolkning av prostatacancer eller för prediktion av ändrad proteinfunktion beroende på 3D-struktur (folding). Vi fick även utblickar mot vad vi har att se fram emot i vården. Max imple menterade forskning inom radiologisk bildtolkning avhandla des kortfattat och framtiden utlovades som mer spännande än nutiden.
Gunnar Flivik från Lund berättade under rubriken Navigera –necesse est? om navigation och alternativen vid robotkirurgin. Vår avbildningsteknik går idag från 2D till 3D. Detta har gett oss nya möjligheter för preoperativ planering med CT-baserad 3Dteknik men också möjlighet att peroperativt bättre positionera proteskomponenterna.
Sessionen avslutades med en paneldiskus sion om vad som upplevts stöttande i proces sen men också vad som varit hindrande. Det finns bra innovationsstrukturer i landet men framförallt lagstiftningen identifierades som något som hindrar och bromsar utvecklingen.
Verksamhetsområde (VO) ortopedi vid Skånes universitetssjukhus (Sus).
Som sektionschef kommer du att ha det övergripande ledningsansvaret inom sektionen, med ansvar för personal, ekonomi och verksamhet.
Läs mer på Skane.se/jobb
Tillsammans gör vi livet mera möjligt.
Region Skåne finns till för att alla som bor i Skåne ska må bra och känna framtidstro. Genom gränslösa samarbeten och omtanke skapas de bästa förutsättningar för ett hälsosamt liv –inom näringsliv, kollektivtrafik, kultur och hälso- och sjukvård – i Skåne. Tillsammans gör vi livet mera möjligt.
Jag läste inslaget om anläggande av femursträck i OM nr 1, 2022. I Östersund är vi flitiga att lägga tibia/femursträck men nu börjar lagret från 60-talet sina på grund av svinn och slitage.
Jag har under de senaste månaderna lagt en hel del tid på att försöka hitta nya och hela delar på mark naden, men inte lyckats. Bysmedjan verkar inte vara en okej lösning idag pga CE-krav och dylikt.
Flera andra kliniker i landet verkar ha samma prob lem. Nu frågar jag via Ortopediskt Magasin. kanske vet någon av tidningens läsare vart man köper släde, spel och bygel/hästsko?
Maila gärna direkt till martinnilsson323@hotmail.com, men lägg även redaktionen@ortopedi.se som kopia så kan vi återkomma i nästa nummer med eventuella svar.
Jag hoppas att ni alla har haft en underbar semester och njutit av sommaren. Nu står hösten inför dörren med spännande aktiviteter. Vi kan se att mässor och konferenser har kommit igång både på nationell- och internationell nivå till exempel ISPOs amputationskurs, CPUP, ESMAC och AOPA. Livet börjar kännas som före covid.
Vi i SOIF-styrelse har haft vårt första fysiska möte på över 2 år. Det var roligt att äntligen kunna få träffas fysiskt i Stockholm. Vi hade en planeringsdag inför hösten gällande branschdagarna som ägde rum den 11–12 oktober i Stock holm som vi höll tillsammans med OTB och SOTF.
Andra viktiga punkter som dis kuterades var; hur ser det ut på arbetsmarknaden för ortopedingen jörer? Varför väljer många att lämna branschen?
Vi kan se att det råder brist på ortopedingenjörer och därav kom frågan upp kring om det utbildas för få ortopedingenjörer? Hur kan vi få de ortopedingenjörer vi har till att stanna kvar i branschen? Samt hur kan vi göra oss mer synliga och skapa mer intresse för utbildningen?
Vill avsluta med att påminna alla om att fylla i årets löneenkät, för det är viktigt att ha koll på löneutvecklingen.
Ha en fortsatt trevlig höst!
Två av världens mest meriterade center, Avdelning för Ortope di, Sahlgrenska Akademin och Plymouth Universitet, har startat samarbete för att utveckla inter ventioner som effektivt förebyg ger fotsår och amputation vid diabetes. Behovet att förebygga komplikationer är stort. Globalt fanns, år 2021, 537 miljoner människor med diabetes och en ökning till 780 miljoner år 2045 förväntas.1
Sverige mobiliserar, genom Kunskapsstyrningen, mot personcentrerat och sam manhållet vårdförloppet (VF) för personer med diabetes med hög risk för fotsår. VF ska implementeras i Sveriges 21 regioner2 och den ortopedtekniska behandlingen har en central roll i prevention, bl.a. med behandling med knähög ankelfotortos vid plantara fotsår. VF har tagits fram av en interprofessionell grupp där bl.a. Ulla Hellstrand Tang, Ortopedteknik, Sahlgrenska och Leif Sundberg, ord förande i Göteborgs Diabetesförening har medverkat.
I VF betonas att det långsiktiga målen är att minska antalet fotsår och am putation; bidra till bättre livskvalitet för de som är berörda samt minska sjukvårdens kostnader för sårbehan dling.
Startpunkten är att personer med dia betes årligen (eller oftare) fotundersöks strukturerat,3 får råd om egenvård, vid behov får tillgång till lämpliga skor/in lägg, fotvård samt remiss till medicins ka specialister ifall det finns förhöjd/ akut risk att utveckla fotsår. Minskade hälso-och sjukvårdskostnader, ca. 1-2 miljarder kronor årligen, förväntas.
Den digifysiska konferensen med Plymouth samlade över 100 delegater från England och Sverige. Syftet med samarbetet var att inom biomekani sk forskning bidra till ökad evidens för ortopedtekniska interventioner.
Föreläsningarna visade på bredden i forskningsfältet med tema: biomekanik, patienters uppfattning om skor/skoval/ prevention, eHälsa, följsamhet till klin iska riktlinjer, samt hållbar hälso- och sjukvård.
Föreläsningarna vid konferensen inleddes med att Joanne Paton, podi atrist och docent vid Plymouth Univer sity talade om en metodik användbar för att förebygga återfall av fotsår, med titeln: Improving load management to prevent reulceration in people with diabetes.4 Organiserat kring BEUP (Bal ance Enhancement and Ulcer Preven tion Research Group) samarbetar Paton m.fl. så den kliniska forskningen ger nytta i daglig vård. I pågående projekt utforskas beteendeförändringar hos personer med diabetes för att förebyg ga fotsår; stretchövningars påverkan på ankelrörlighet och dess påverkan på plantart tryck i framfoten samt optimering av egenvårdsförmågan hos personer med ökad risk för fotsår Sean Ellin, Musculoskeletal och Dia betes Podiatrist redogjorde för Biome chanics and the diabetic foot - Torbay Skellen Triage Offloading Pathway. In tressanta synpunkter gällande Pressure analysis in the NHS – aid or obstacle? framfördes av Richard Collings Podia trist, PhD. Prof. Jon Marsden tog med deltagarna på en virtuell rundvandring på det nyöppnade: The Brain Research and Imaging Centre (BRIC) i Plymouth.
Från Avdelning för Ortopedi, Sahl grenska Akademin, presenterade Isabella Gigante, ortopedingenjör, riskerna, d.v.s. längre läkningstider, när ortopedteknisk personal inte förskriv er knä-hög ankelfotortos vid plantara fotsår5 Adherence to clinical guidelines - Offloading of diabetes-related neuro pathic foot ulcers at Swedish prosthetic and orthotic clinics.
Långtidsuppföljningen av inläggs försörjning till personer med risk att utveckla fotsår, presenterades av orto pedingenjör Sigrid Simonsson. Inläggs studien startade 2008 under ledning av Hellstrand Tang, Tranberg, Zügner och Kärrholm.6 I studien har fotstatus, nerv
Bild till höger Joanne Paton, Plymouth University, presen terade Improving load management to prevent reulceration in people with diabetes. Grafen visar att viss belastning (området inringat av övre gul linje och nedre röd linje) är gynnsam. Under- och överbelastning ökar risken för skador.
funktion, funktion i fötter och ben samt smärta undersökts. Gånganalys och plantar tryckmätning har använts och självskattning av hälsan har registrerats med SF-36 och EQ-5D. Ur materialet beräknas biomekanik, livskvalitet och kostnader samt hur fotstatus, gång funktion och livskvalitet förändras över tid.6-8 Samband mellan riskfaktorer ex. inskränkt rörelseomfång i ankelfotled och höga punkttryck under fotsulan utvärderas. Via en hållbarhetsenkät beräknas hållbarhetseffekterna (ekologiskt, ekonomiskt och socialt) i samband med hjälpmedelsförsörjningen.9,10 Gånganalysen med optiska markörer utfördes vid Ortopedens Forskningsenhet, Sahlgrenska. Rörelselaborato riet och dess validerade metoder11,12 presenterades av Roy Tranberg, Univer sitetssjukhusöverortopedingenjör och docent och Roland Zügner, översjuk gymnast och PhD.
Baserat på tryckmätningarna från 10-årsstudien har Elin Hellgren och Magnus Breiner, ortopedingenjörer, utforskat om fotinläggen ska förses med pelott eller inte, i studien Plantar pressure differences at the metatarsal pad position in patients with diabetes and toe deformities. Vilka indikationer finns för pelott i ett skoinlägg?
Förbättringar av rutin för att undersö ka fötterna hos personer med diabetes har skett under 10-årsstudien. Ulla
Hellstrand Tang, överortopedingenjör, PhD talade om hur forskarteamet gått från strukturerad fotundersökning med stöd av pappersmall till digital rutin. Teamet, stött av professor Jon Karlsson, pionjärer i eHälsovågen utvecklar, testar patient – och vårdappar, ex. www. myfootdiabetes.se och https://dfoot. vgregion.se/ 13 En primärfotvårdsapp som verktyg vid implementering av VF utvecklas.14
Avslutningsvis fick deltagarna inblick i amputationsfrekvensen i Sverige av Gustav Jarl, ortopedingenjör och docent, Örebro Universitet från artikeln Lower limb amputations in Sweden: Incidence, time trends, and regional variations.15
Vid Internationella Diabetesfotkonfer ensen i Haag, 2023, kommer centren i samarbete med Göteborgs Diabe tesförening presentera en kvalitativ multicenterstudien för att kartlägga faktorer som styr skovalet: Self-reported preferences of footwear for patients with diabetes and without previous foot ulcers: A pilot study.
1. International Diabetes Federation, IDF Diabetes Atlas 2021. 2022.
2. Sveriges Kommuner och Regioner, Personcentrerat och sammanhållet vårdförlopp Diabetes med hög risk för fotsår. 2022.
3. Sveriges Kommuner och Regioner, Fo tundersökning vid diabetes - Nationellt vårdprogram för prevention av fotkom plikationer vid diabetes, C.-G. Östensson, et al., Editors. 2018.
4. Plymouth Institute of Health and Care Research (PIHR). Supporting patients atrisk of diabetic foot ulcers. 2022-07-03]; Available from: https://www.plymouth. ac.uk/research/institutes/health/support ing-patients-at-risk-of-diabetic-foot-ulcers.
5. International Working Group on the Diabetic Foot. IWGDF Guidelines. 2019 2020-06-05]; Available from: https://iw gdfguidelines.org/guidelines/.
6. Hellstrand Tang, et al., Comparison of plantar pressure in three types of insole given to patients with diabetes at risk of developing foot ulcers - A two-year, ran domized trial. J Clin Transl Endocrinol, 2014. 1(4): p. 121-132.
7. Hellstrand Tang, The Diabetic Footassessment and assistive devices. 2017.
8. HellstrandTang, U., et al., Foot defor mities, function in the lower extremities, and plantar pressure in patients with di abetes at high risk to develop foot ulcers. Diabet Foot Ankle, 2015. 6: p. 27593.
9. Hellstrand, S. and U. Hellstrand Tang, A new approach to quantifying the sus tainability effects of healthcare: Applied to the diabetic foot. The Foot and Ankle Online Journal, 2019. 12 ((3): 5).
10. Hellstrand, S., et al., Measuring sus tainability in healthcare: an analysis of two systems providing insoles to patients with diabetes. Environ Dev Sustain, 2020. 23: p. 1-15.
11. Tranberg, R., Analysis of body mo tions based on optical markers: accuracy, error analysis and clinical applications.
2010, Department of Orthopaedics, Institute of Clinical Sciences, Sahlgrenska Academy at University of Gothenburg: Göteborg.
12. Zügner, R., Gait and motion analysis of hip arthroplasty. Validity, reliability and longterm results. 2017.
13. Hellstrand Tang, U., et al., The D-Foot, for prosthetists and orthotists, a new eHealth tool useful in useful in risk classi fication and foot assessment in diabetes. The Foot and Ankle Online Journal, 2017. 10(2: 4).
14. Hellstrand Tang, U., et al. Screening of the foot at risk to develop diabetic foot ulcers with a little help from three soft ware. in Biomechanial research collab oration conference Plymouth University and Sahlgrenska Academy. 2022.
15. Jarl, G., et al., Incidence of lower-limb amputations in Sweden from 20082017. Eur J Vasc Endovasc Surg, 2022.
Ulla Hellstrand Tang Roy Tranberg Roland Zügner Isabella Gigante Sigrid Simonsson Elin HellgrenFrån vänster: Leif Sundberg, ordförande I Göteborgs Diabetesförening; Roland Zügner, Lisbeth Hagström, Ulla Hellstrand Tang, Shivani Ravichandran, Elin Hellgren, Sigrid Simonsson, och Roy Tranberg. Bild ovan: Sean Ellin, presenterade Biomechan ics and the diabetic foot - Torbay Skellen Triage Offloading Pathway.
Ett sjukhus i Norge visar INGEN djup infektion på >1500 utförda höft och knäoperationer under 2018-2019. De använder både Operio och Steristay sedan 2015 i kombination med omblandande ventilation.
• Utbildning
• Kunskapsutveckling
• Tillämpning/spridning
• Utveckling/innovation
I skrivande stund är Pompe på turné land och rike kring runt och inspekterar å socialstyrelsens vägnar hur de ortopediska universitetsklinikerna förvaltar de pengar som staten genom ALF-anslagen ger till regionerna, totalt årligen 1,7 miljarder.
Mycket eller litet? Tjaaa, vården står för kring 9% av BNP (i USA dubbelt så mycket). ALF-anslaget är då 0,3‰ av BNP, 0,2% av de totala vårdkostnad erna, vilket på en höft motsvarar 2 JAS-plan eller 1,5 km tunnelbana. Småpengar med andra ord. (Nationalekonomiska siffror är svåra att relatera till, som astronomiska avstånd och geologiska tider).
Men ”Vad fan får vi för pengarna” är en berättigad fråga från oss skattebetalare. Utan att vilja föregripa utredningen kan Pompe dock inte dölja sin beundran över hur man lyckats hålla näsan över vattenytan under de blytunga pandemiåren, då många torpeder fick sadla om till infektionsläkare, och en stor del av den elektiva ortopedin fortfarande ligger för fäfot.
Redan Sokrates klagade över den yngre generationen var förvekligad, och då snackade han ju om Aristoteles och Platon. Men från Pompes horisont, verkar inte bara läkarut bildningen utan även kandidaterna ha blivit mycket bättre. Kandidat Pompes ortopedutbildning på gamla Norrbacka var högst rudimentär. Bl a satt vi på vinden och rökte och diskuterade amputationer med docenten Nilsonne. Även Pompes kliniska utbildning var understundom en smula trial & terror. Dagens studenter är inte lika bortskämda som
generation X, men heller inte lika uppkäftiga som baby boomers som Pompe. Breda penseldrag? Visst, men tidsan dan – vad det nu kan vara – är omisskännlig.
En annan iakttagelse är att kandisarna skarpt gillar de praktiska momenten och de jämförelsevis välavgränsade diagnoserna i ortopedin. Från ett sydligt beläget universitet rapporterade man att ortopedin nästan alltid fick kandida ternas pris, varför fakulteten avskaffade utmärkelsen som väl kränkte dem som aldrig kom i fråga. En annan klinik välkomnade studenterna till alla lokaler, inte minst viktigt till fikarummen med gratis kaffe, i skarp kontrast till därva rande kirurgklinik, ett billigt pedagogiskt hjälpmedel. Under 3-4 veckor kan man ju ändå inte förmedla så värst mycket mer än intresse och entusiasm – vitalt för rekryteringen. Ett supereffektivt sätt är att lära sig ansikten och namn, det var ett av Napoleons trix för att få hängivna anhängare, som anammats av flera terminsansvariga. Lägg upp namn/bild i din smartphone, förhoppningsvis retar det datainspektionen, och använd listan för rekrytering.
Bristen på rutinfall för ST-läkarnas kirurgiska träning är i de större städerna ett stort och ökande problem, politiken säljer ju ut de enklare fallen till privata aktörer där rutinerade kollegor opererar ASA 1-2, medan de svårare fallen och ASA 3-5:or ställs i olika köer för att mogna. En Göteborgspolitiker frågade varför man inte sände patienterna tiIl Halmstad. I Uppsala och Linköping har man ett elegant sätt att mildra de oönskade effekterna genom att skriva flerårsavtal där den offentliga vården säljer paket med patient-operatör-ST-läkare. Även GYN och ÖNH är hårt drabbade, där är det ju också lätt att sätta upp operationsavdelningar för chirurgia minor på stan. Är det inte märkligt att vi inte får gehör för våra och patienternas klagan?
Ett perennt bekymmer är också en bristande förståelse från preklin – som oftast dominerar de medicinska fakulteterna – är att kliniska doktorander också har ett yrke att lära, vilket tar många år – förutsatt att det finns patien ter att träna på. Det har slagit speciellt hårt mot ortopedin. Några universitet driver fakulteten hårt ett tidsstyrt mål, 4 års heltidsstudier, varken mer eller mindre, vilket sällan passar en kliniker under utbildning, det är ju inte bara en pro duktiv utan även reproduktiv period i livet. Många enheter lider av en brist på docenter/handledare, och har med olika framgång kunnat hantera finansieringen till doktorander och framförallt de nydisputerade, det är en nyckelfråga som vi lär få anledning att återkomma till.
Förövrigt anser Pompe att de obsoleta IT-lagarna bör skri vas om och de vattentäta skotten mellan vårdens register fenestreras.
Nu är det höst med allt vad det innebär, för många en av de bästa tiderna på året när man får krypa in i stugan – tända en brasa, koka en boeuf bourguignon och avnjuta ett glas kraftigt rött vin.
En av de absolut mest populära druvorna för oss nordbor (efter Cabernet sauvignon som prenumererat på förstaplatsen de senaste tio åren) är Zinfandel från Kalifornien, tätt följd av den syditalienska druvan Primitivo. Betydligt längre på listan hittar vi druvor som kroatiska Crljenak Kastelanski och dess halvsyskon Plavac Mali.
Varför nämna dessa kända och okända druvor? Jo, det är samma druva! DNA-tes ter visar att de första tre är helt identiska och den sista (Plavac Mali) delar 50 pro cent med Crljenak Kastelanski, som också är anfader till de båda andra.
Runt 1850 tog den ungerske författaren Agaston Haraszthy med sig ett antal vin stockar av Crljenak Kastelanski när han utvandrade till Kalifornien. Där blev vinerna populära bland italienska utvandrare som började massproducera både röda och roséviner från Zinfandel. Det gick tyvärr inte lika bra för Agaston Haraszthy som oturligt nog blev uppäten av en alligator under en resa i Nicaragua.
Kastelanski-familjen: Plavac Mali (den lilla blå på kroatiska). Tänk dig en fruktig Zinfandel korsad med en sträv Nebbiolo. Visst låter det magiskt? Det är det också.
Plavac Mali ger ett vin med nästan blåa toner, med tydlig fruktighet, färsk tobak och till och med tjära – såsom en Nebbiolo. Plavac Mali mognar sent vilket ger mer komplexitet i vinet, som jag förstås rekommenderar varmt!
Systembolaget har två viner med Plavac Mali i sitt beställningssortiment. Jag provade ett annat vin från samma gård, ett som inte lagrats på barrique (stort fat), men på nya fat av slavonsk ek – förmodligen enligt närhetsprincipen då Slavonien ligger i Kroatien. Jag blev helt såld.
Har du möjlighet att importera själv, eller kanske helt enkelt kan ta en week end i Zagreb bör du leta upp en flaska Volarevic Gold. edition Plavac Mali.
Stina Plava Mali Barrique, 2015 (13%)
Systembolaget nr 72327 246:- 750 ml
Tyvärr har Systembolaget bara valt att ta in det röda samt rosévinet (som de kallar White Zinfandel – allt för att för virra konsumenten) från Zinfandel. Det vita tar de inte in. När det gäller det röda finns det utanför Sverige ett större utbud att välja på. Zinfandel har ofta en alkoholhalt på över 14 procent, vilket bådar gott för lagring på lite längre sikt:
Turley Old Vine Zinfandel (15,5%) Systembolaget nr 93731 (tillfälligt besök som alla artiklar som börjar på 9) 359:- 750 ml
Turley hävdar att deras stockar är 150 år gamla och ”kan eventuellt” vara de första stockarna som Agaston Haraszthy tog med sig. Du bör hitta ek, vanilj och tobak direkt eftersom den lagrats på nya franska ekfat. Flera nämner blåbär och en hög fruktighet med lång eftersmak. Vinet bör luftas något i glaset med tanke på den höga alkoholhalten.
Jag har lagt ett par flaskor i källaren för att se hur de beter sig – de bör vinna på lagring för att få bort det lite spetsiga i näsan.
Zinfandel och Primitivo – det är väl samma sak? Nja... Primitivon odlas på klacken (Puglia) i Italien, som har en högre snittemperatur än Kalifornien, vilket ger ett vin med något högre sötma och ytterligare fyllighet. Men vissa odlare väljer att skriva Zinfandel på förpackningen för att kunna få lite bättre betalt.
Primitivo används till att börja med som en blanddruva för att ge lätta viner lite mer fyllighet och för att höja alkoholhalten.
Det här är ett klassiskt grillvin, eller snackevin (dvs man behöver inte äta något till, bara snacka). Här hittas mycket frukt, vanilj och ek med franska fattoner. Det vinner dock sannolikt inte på lagring, eftersom fruktigheten försvinner då.
Casa Marrone (14,5%)
Gran Marrone Appassimento 2021 Systembolaget nr 76686 139:- 750 ml