Medici.com 118

Page 1

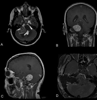
Prof. dr Nenad Živković

Mikrohirurško lečenje akustičnog neurinoma

JZU Bolnica „Sveti vračevi“ Bijeljina Vještačka inteligencija u medicini

Naučna konferencija 31.8-1.9. 2023.

ww w . medicicom.com

Godina dana rada Kardiohirurgije UKC RS

Više od 200 spasenih života

Dr Vladimir Cmiljanović, naučnik U Srbiji inovacioni centar za nuklearnu medicinu

Dr sc. med. Slavica Žižić Borjanović

Jedinstvena Olja Ivanjicki, umetnica

GODINA XX • BROJ 118 • AVGUST 2023 • CIJENA 6 KM, ZA INOSTRANSTVO 4 EUR • DVOMJESEČNIK • DISTRIBUCIJA PUTEM PRETPLATE PLUS NMK • STRUČNI SKUPOVI • INFO

PEDIJATRIJA

KARDIOLOGIJA

ENDOKRINOLOGIJA

NEFROLOGIJA

GASTROENTEROLOGIJA

REUMATOLOGIJA

PULMOLOGIJA

HEMATOLOGIJA

NEUROLOGIJA

PSIHIJATRIJA

VASKULARNA HIRURGIJA

UROLOGIJA

ORTOPEDIJA

ANGIOLOGIJA

FIZIJATRIJA

NUTRICIONISTA

UZV DIJAGNOSTIKA

DERMATOVENEROLOGIJA

KLINIČKA PSIHOLOGIJA

DJEČIJA KARDIOLOGIJA

DJEČIJA PULMOLOGIJA

DJEČIJA NEUROLOGIJA

DJEČIJA NEFROLOGIJA

DJEČIJA ENDOKRINOLOGIJA

DJEČIJI NUTRICIONISTA

DJEČIJA ORTOPEDIJA

DJEČIJA FIZIJATRIJA

LOGOPED

ONKOLOGIJA

U našoj zdravstvenoj ustanovi rade vrhunski stručnjaci različitih specijalnosti.

Uvodna reč

Kad u tihe letnje večeri zapali polja svitaca roj, znaj da među njima treperi i jedan koji je samo tvoj.

Treći… sto treći… hiljadu treći…broj tako sve dok pšenica zri. Tvoj svitac mora biti najveći i najsjajniji, kao i ti.

Iako te on verno prati kroz tamno polje i gusti gaj ti nikad nećeš prepoznati njegov miris i njegov sjaj.

Možda ti baš sad prođe kraj lica misleći da je suncokret žut. Da ti nije tog tajnog svica ti nikad ne bi pronaš’o put.

On samo za te sjaji u noći i samo zbog tebe postoji, znaj, ali ti nikad nećeš moći da pružiš prst i kažeš – taj!

Ma gde budeš svijao gnezda, ma gde god te odneo ptičji let, u mnoštvu drugih livadskih zvezda svetleće i on, k’o zlatni cvet. Kad god te njihov sjaj zagolica, videćeš majku i rodni kraj.

Svako srce ima svog svica, svoju livadu, reku i gaj! (“Čudesni svitac”, Dobrica Erić)

Leto je već odavno u punom zamahu. Gospođa priroda kao da je na rulet stavila sve svoje ćudi, svoje moći, svoje pakosti, pa kako se kome i kako se gde kuglica zaustavi na tom „đavoljem točku“. I kod nas i u „belom svetu“, ovo leto se joguni, otima i prkosi i uporno hoće da bude ono što nije. Porodilo se u jutrima, ispunjenim visokim maglovitim zavesama, rosnim parkovima, vlažnim trotoarima... Boje sunčeve svetlosti i njegova toplina bile su nam čežnja i nada da će nas bar koji put ovoga leta pomilovati. Kiše nisu prestajale.Vetrovi nisu mirovali. Udruženi, jaki, moćni i silni opominjali su i konstantno opominju „maloga“ čoveka na njegov položaj „praha“ u nepreglednom lavirintu univerzuma. Poplave, bujice, požari...katastrofe i kataklizme biblijskih razmera. Zgrčena, ukočena i izbezumljena lica... Suze, vapaji i beznađe nesrećnika koji su imali bliski susret sa tim pošastima, duboko su urezani u naše oči, naše duše, naša sećanja! A onda, vreli letnji dani... Užareno sunce na prostranom i usamljenom nebu, ne zna za kompromis! Vrelina uzima maha! Nebo je zaboravilo kako izgledaju oblaci, a spržena zemlja otvara svoju utrobu, vapeći samo za kojom kapljicom kiše! Previsoke temperature, koje prelaze i 40 stepeni, iznenadile su i sami avgust! U nama i oko nas, osećaj strahopoštovanja prema letu i svoj njegovoj nepredviđenoj ćudi, čarima, ali i “pakostima”.

Ovih dana smo nekako uplašeni, tromi, umorni, istrošeni...! Kao da nam nedostaje snage i u mentalnim i u fizičkim baterijama... Čovek je mašina! Složena biološka mašina koja se „haba“ i troši, a sve što se troši to i dotrajava! Da bi produžio vek trajanja, mora da se „održava“! Treba mu odmor i dobar „punjač“, kako bi svoje mentalne i fizičke baterije dobro napunio.Trebaju mu dodiri toplote koji ga bezuslovno pozivaju na odmor i opuštanje. Harmonija cvetnih boja, orkestarski poj svitaca u vrela letnja predvečerja, buđenje ljubavi… Pod mesečevom svetlošću, leto poprima zanosne strasti. Teško je odoleti njegovom zovu i ne predati se uživanju u gracioznosti i razuzdanosti njegove slobode…

U svetlu rečenog i ekipa časopisa „Medici.com“ našla se u procepu trenutka. Između rada i zasluženog odmora, odlučila je da i ovim, 118-tim „užarenim“ koktelom, ponovo opravda status Vašeg vernog i sveobuhvatnog informatora. U njega je s dušom kombinovala i „smiksala“ sve za šta je verovala da bi Vas, naše odane čitaoce, moglo osvežiti i biti ugodno Vašim čulima na ovim ekstremnim vrelinama. Pa, „zaronite“ međ’ redove ovog osvežavajućeg pisanog „napitka“. Prijaće Vam! Vaš “Medici.com” Vera Pušac, direktor

Glavni urednik: prim. dr Momir Pušac

Izvršna urednica: Anđa S. Ilić

Tehnički urednik: Sretko Bojić; Lektor: Biljana Kuruzović

Stručno naučni konzilij redakcije: akademik prof. dr Miodrag Ostojić, akademik prof. dr Drenka Šećerov-Zečević, akademik prof. dr Miodrag Čolić, akademik prof. dr Duško Vulić, akademik prof. dr Enver Zerem, prof. dr Zoran Popović, prof. dr Miodrag Jevtić, prof. dr Vaso Antunović, prof. dr Danica Grujičić, prof. dr Ljiljana Vujotić, prof. dr Srboljub Golubović, prof. dr Duško Vasić, prof. dr Zdenka Krivokuća, prof. dr Senad Mehmedbašić, prof. dr Sandra Lazarević, mr. sc. ph. Pero Rokvić, mr. ph. Nataša Grubiša, prof. dr Snežana Pejičić, dr sc. med Slavica Žižić-Borjanović, prof. dr Nebojša Kavarić i prof. dr Elizabeta Ristanović.

Stručni savjet redakcije: prim. dr Lela Popović, prim. dr Slavko Dunjić, prim. dr Mira Popović, mr. ph. Dragana Reljić, dr Rade Dubajić, dr Danica Mihajlović, mr Živana Vuković-Kostić, mr. sci. med. dr Branislav Lolić, prim. dr Boro Gužvić, dr Goran Račetović i Željko Derajić.

Redakcija: 78000 Banja Luka, Branka Ćopića 15, Tel: +387 (0)51 318 606, +387 (0) 65 603 346; e-mail: medici.com@blic.net; www.medicicom.com

Izdavač: “Udruženje Medici.com” Banja Luka, Branka Ćopića 15

Direktorica: Vera Pušac

Prodaja, marketing, promocija u BiH: Jelena Pušac Broćilović

Promocija i marketing u inostranstvu Beoimpex AD Beograd tel. +381 11 38 09 715

Pravni savjetnik: Advokat dr Jovana Pušac, Banja Luka, tel. +387 65 692 377

Foto: Bojan Crnokrak, tel. 066/454-211; Štampa: ”Atlantik bb” Banjaluka

Tiraž: 2.000 119. broj izlazi u oktobru 2023. godine

Rješenjem Ministarstva prosvjete i kulture RS broj 6-09-3783/03 od 25.09.2003. upisano u Registar javnih glasila pod r. br. 430. Svako umnožavanje, reprodukovanje i kopiranje dijela ili cijelog materijala iz časopisa i www izdanja dozvoljeno je isključivo uz pismenu saglasnost izdavača.

POZITIVNE FREKVENCIJE Godina dana rada Kardiohirurgije UKC RS Više od 200 spasenih života 8 JZU Bolnica „Sveti vračevi“ Bijeljina Vještačka inteligencija u medicini 10 Dr Milan Preradović, oftalmolog KVB i mikrocirkulacija retine 28 Dr Vladimir Cmiljanović, naučnik Inovacioni centar za nuklearnu medicinu 42 Dr sc. med. Nenad Živković Mikrohirurško lečenje akustičnog neurinoma 48 Dr sc. med. Slavica Žižić Borjanović Jedinstvena Olja Ivanjicki, umetnica 54 Medicinska revija Filozofija umeća uspešnog starenja 62 Dr Miodrag Manigoda, neurology Glavobolje 66 Info bilten UKC RS 79 Tradicionalno druženje Generacija studenata medicine 1972/77 90
L š ć ;15 1-2 053-054 Nove knjige / New books ФИЛОЗОФИЈА УМЕЋА УСПЕ СТАРЕЊА THe PHILOSOPHY OF THe A SUCCeSSFUL AGING Валентина Нинић Милорад Жикић Пастерово друштво 2023 Нови Сад medicinska revija medical review Књиге о старима и старости када се корисн свакодневног живота свакако су за све доб људе на које се тематски односе тако и за вања проблема старости и старења за прик ј ћ ц р р ј р д ц ц ј бр у а а о а у слу ба а соц ал е здра с К Филозофи а умећа успешно с живот годинама упућу е како одржат и кондицију одржавати и унапређиват ље свакодневним креативним радом др у р р у д р д др У д р ј р у у р д круне свих претходних у коме треба пажњу здрављу као темељу живота су се могу појавити код стари их поступцима као и оних у рани им пе р у б ду д р ћ д д животног доба К а је ас ала о о обеле а а а старења Светске здравствене организа улогу да га промовише популарише и ко и желе да прошире знање и оспос р С др бр д р у бр ј р тима а обогаћена стручно заснованим и дубљеним размишљањима и коментар филозофски карактер Посебна е и по драгоценим и поучним сазн об е з ау е б о раф ја а д у ду уд 7 SADR@AJ

niverzitetski klinički centar Republike Srpske obilježio je uspješnih godinu dana rada naše Klinike za kardiohirurgiju. Naša ustanova na čelu sa prof. dr sc. med. Vladom Đajićem zabilježila je značajne iskorake u svom poslovanju te intenzivno i bez predaha radi na tome da UKC Republike Srpske dobije status najsavremenijeg i najmodernijeg kliničkog centra u regionu.

Od otvaranja Klinike za kardiohirurgiju UKC Republike Srpske koje je upriličeno 11. septembra 2022. godine do sada je uspješno izvedeno više od 220 kardiohirurških zahvata. Operacije su izvedene uz podršku Instituta za kardiovaskularne bolesti Dedinje i Instituta za kardiovaskularne bolesti Vojvodine Sremska Kamenica. Prva kardiohirurška operacija je izvedena 6.6.2022. godine. Ove operacije uključuju hiruršku revaskularizaciju miokarda, operativno liječenje valvularnih bolesti srca, te takođe najnovije metode hirurškog liječenja srčane slabosti.

Obilježeno godinu dana rada Kardiohirurgije UKC-a Republike Srpske

Više od 200 spasenih života

Prema riječima prof. dr Vlade Đajića koji se zahvalio cijelom timu te istakao da je presrećan što su njegova vizija i ideja praćene ogromnim radom, trudom i energijom uz podršku rukovodstva Republike Srpske i kolega iz Srbije pretvorene u ono što je najbitnije za stanovnike Republike Srpske, a to je Klinika za kardiohirurgiju, gdje se svakodnevno spašavaju životi naših stanovnika. Još jednom se zahvalio kolegi dr Nikoli Šobotu i njegovoj ekipi na izvanrednom radu.

Dr Nikola Šobot, načelnik Klinike za kardiohirurgiju UKC Srpske je istakao da je danas ponosan te da je prošlo godinu dana jednog teškog i mukotrpnog rada gdje sada možemo izaći sa našim rezultatima.

„Najprije moram da se zahvalim Prof. dr Vladi Đajiću i ministarstvu

zdravlja na prilici da budem dio ovog projekta i mogućnosti da uradimo ovo sve za pacijente Republike Srpske. Dali smo svoj jedan maksimum i opravdali smo svoje postojanje i osnivanje kao i sve ono što smo radili kroz više od 200 uspješno operisanih pacijenata, gdje smo im tom prilikom pružili liječenje u svojoj ustanovi kod svoje kuće. Ovo je samo prvi korak, a znamo da su prvi koraci najteži, ali smo postigli veliki uspjeh i ovo će nam biti podstrek za dalje i nadam se da se za godinu dana opet vidimo sa još boljim rezultatima i još većim brojevima“, rekao je dr Šobot. Prof.dr Aleksandar Redžek, direktor Instituta za kardiovaskularne bolesti Vojvodine obraćajući se medijima rekao je da je ovo zaista jedan veliki dan te brojke koje ste čuli zaista govore same za sebe. Čestitao je ministru Šeraniću i prof. Đajiću i dr Šobotu, ali i svim onim ljudima koji su bili uključeni u jedan ovako kompleksan projekat koji je dao jedan ovakav rezultat. “Tu je bila jedna izuzetna vizija, vjera, hrabrost, energija i entuzijazam koji su bili preduslovi da jedan ovakav projekat bude završen. Što se tiče kompletnog tima Instituta za kardiovaskularne bolesti Vojvodine, ljudi su dali nesebičnu podršku i nesebično dijelili svoje znanje i iskustva da bi ljudi odavde, mladi ljekari i medicinske sestre mogli da rade kvalitetan posao kako ga rade sada. I ovi rezultati su zajednički rezultat svih nas i možemo biti ponosni na to.”

Doc.dr Petar Vuković, zamjenik upravnika Instituta za kardiovaskularne bolesti „Dedinje“

“Čast i zadovoljstvo mi je što sad

ovdje stojim sa vama i prenosim tople pozdrave od svih naših kolega i od naše uprave koja je podržala u potpunosti ovakav jedan za cijeli naš region značajn projekat. Mi ovdje dolazimo kao u našu kuću jer smo naišli na jedan jako visok nivo profesionalizma, ljubaznosti i stopili smo se sa kolegama ovdje, tako da mi sa velikim zadovoljstvom i punim srcem pristupamo ovom poslu. Samo na ovaj način možemo izgraditi jednu sjajnu kardiohirurgiju koja je ovdje krenula da se stvara i koja će kroz određen broj godina biti potpuno autonomna i da ćemo i dalje imati jednu razmjenu i saradnju na obostrano zadovoljstvo.

Alen Šeranić, Ministar zdravlja i socijalne zaštite Republike Srpske: “Želim da se zahvalim kolegama iz Dedinja i Sremske kamenice ne samo na podršci koju su pružili za razvoj naše kardiohirurgiju nego i na kontinuiranoj podršci kako školovanja naših kadrova u Srbiji putem medicinskih fakutleta tako i u okviru zbrinjavanja i tretmana naših pacijenata. Čestitam direktoru Đajiću i načelniku Klinike Šobotu na njihovoj istrajnosti da vizija koju smo postavili 2017.godine danas dobije stvarne oblike i da možemo sa ovim značajnim i vrlo vrijednim rezultatima izađemo ovdje pred vas. Osnivanje i pravljenje jedne kardiohirurgije je kruna zdravstvenog sistema i to nije samo stvar ministarstva i kliničkog centra koji najviše u ovom segmentu učestvuju nego je to i stvar cijelog zdravstvenog sistema. U ovom uspjehu kao što ste vidjeli govore drugi i pozivam sve da uvijek pitate druge ljude o tome kako radi naša kardiohirurgija.”

Saradnici za informisanje UKC RS

U
ZDRAVSTVO 8

Ministar zdravlja i socijalne zaštite Republike Srpske Alen Šeranić, obilazeći radove na novoj bolnici “Sveti apostol Luka” u Doboju, naglasio je da se radovi izvode kvalitetno te da očekuje da će do kraja godine objekat biti spreman da bude predat na korištenje.

Tokom posjete gradilištu nove bolnice, ministar Šeranić je rekao je da će se zajednički razmotriti potreba za produženjem roka, koji je bio do kraja septembra, jer su prethodni nepovoljni vremenski uslovi, poput kiše i velike vlažnosti, kao i nedostatak radne snage, uticali na dinamiku završnih radova i opremanja.

“Cilj je da sve uradimo kvalitetno, a ne da završimo posao koji neće biti odgovarajući ni za pacijente ni za zdravstvene radnike”, izjavio je ministar Šeranić i dodao da su dosadašnji radovi urađeni veoma kvalitetno i da su obuhvaćene sve predviđene faze projekta.

Po njegovim riječima, građani Doboja su dugo čekali novu bolnicu i projekat treba privesti kraju na pravi način. Od početka se insistira na kvalitetu, u skladu sa zahtjevima projekta, jer se bolnica “ne gradi za tri ili pet godina, već za buduće decenije”.

On je naveo da se trenutno čeka dokumentacija za proširenje jedinica intenzivne njege, koja nije na početku predviđena ovim projektom u kapacitetu u kojem je potrebno, a bolnicu je potrebno učiniti što funkcionalnijom za buduće izazove.

“Iskustva iz pandemije virusa korona ukazala su nam i na to da moramo imati pojačane kapacitete nehirurške intenzivne njege. I sve sobe pacijenata su pripremljene tako da se, u slučaju vanrednih situacija, mogu transformisati u jedinice poluintenzivne njege, što je bio zahtjev bolnice i resornog ministarstva. Moramo da sagradimo bolnice koje će da budu fleksibilne, da u slučaju potreba mogu brzo da se reorganizuju”, rekao je ministar Šeranić.

Po njegovim riječima, imamo i uvjeravanja od izvođača da će vanjsko uređenje biti brzo gotovo, a završavaće se i centralni blok koji ide posljednji”, rekao je ministar Šeranić i za naredni period najavio sastanak sa predstavnicima Gradske uprave i Direkcije za obnovu i izgradnju o tehničkom prijemu objekta.

Zamjenik generalnog direktora poslovne jedince “Sinofarma” za centralnu i istočnu Evropu Juan Džuangđun rekao je da je riječ o veoma visokom kvlitetu

Šeranić

Radovi na izgradnji nove Bolnice u

Doboju teku kvalitetno

On je naveo da je među uslugama predviđena angio sala, razvoj intenzivnog liječenja za nehirurške pacijente, formiranje centralnog hirurškog bloka sa svim salama na jednom mjestu i izdvojeni urgentni blok sa salom.

Zamjenik gradonačelnik Doboja Slavko Kovačević kaže da je Gradska uprava spremna da sa rukovodstvom bolnice i ministarstvom usaglasi sve aktivnosti oko tehničkog prijema objekta.

U Doboju je predviđena izgradnja i opremanje savremene zdravstvene ustanove, ukupne bruto površine 28.078 metara kvadratnih, od čega je neto površina objekta 25.390 metara kvadratnih.

projekta čiji su završni radovi u toku i zahvalio što nadležno ministarstvo ima razumijevanja za trenutnu dinamiku radova na šta su uticali brojni nepredviđeni faktoori.

On je napomenuo da su tokom radova angažovani lokalni podizvođači čime je data mogućnost da Republika Srpska ima stotinu radnih mjesta.

Zamjenik direktora Bolnice Siniša Marić rekao je da će novi objekat obezbijediti vidno bolji komfor i kvalitet zdravstvene zaštite za pacijente, kao i nove zdravstvene usluge.

Nova bolnica projektovana je da dugoročno, opslužuje oko 330.000 stanovnika iz dobojske regije Republike Srpske, federalnog Zeničko-dobojskog i Tuzlanskog kantona.

Raspolagaće sa ukupno 468 kreveta te medicinskim specijalističkim službama poput glavnog operacionog bloka sa četiri operacione sale, urgentnog sa operacionom salom, dijagnostičkog centra sa više od 22 razne radiološke i druge dijagnostičke procedure, dnevne ambulantne/polikliničke usluge sa oko 20 specijalističkih konsultacija, kao i terapijske onkološke dnevne bolnice.

Odsjek za odnose s javnošću Ministarstva zdravlja i socijalne zaštite Republike Srpske

Ministar zdravlja i socijalne zaštite Republike Srpske Alen
ZDRAVSTVO 9

Bijeljini u Etno-selu Stanišići od 31. avgusta do 1. septembra 2023. godine biće održana naučno-praktična konferencija na temu: „Budućnost VS. sadašnjost u medicini digitalizacija - vještačka inteligencija“. Organizatori ovog stručnog skupa su: Fondacija za kulturu kvaliteta i izvrsnost (FQCE), Beograd, Braincon technologies, Beč i JZU Bolnica „Sveti vračevi“ Bijeljina.

Na dvodnevnoj međunarodnoj konferenciji učestvovaće eminentni predavači, vrhunski stručnjaci iz zemlje i svijeta: Republike Srpske – Bosne i Hercegovine, Srbije, Velike Britanije, Austrije, Italije, Sjedinjenih Američkih Država, Ruske Federacije i Sejšela.

Među učesnicima se nalaze predstavnici nauke, zdravstvenih ustanova i organa upravljanja zdravstvenim sistemom te stručnjaci iz oblasti teme koji će podijeliti i razmijeniti svoja iskustva.

Sa zadovoljstvom Vas pozivamo da učestvujete na konferenciji i time doprinesete formiranju novih, savremenih pristupa obavljanju medicinske profesije. Konferenciju će akreditovati Ministarstvo zdravlja i socijalne zaštite Republike Srpske.

JZU Bolnica „Sveti vračevi“ Bijeljina

Vještačka inteligencija u medicini

i sigurnosti zdravstvenih usluga. Telemedicina, sistemi za podršku odlučivanju zasnovani na vještačkoj inteligenciji i medicinski informacioni sistemi posljednjih godina doživljavaju neviđeni rast.

• Kakvu transformaciju treba da sprovedu medicinske organizacije, kako bi se osposobile za primjenu nove tehnologije?

Informatizacija sistema zdravstvene zaštite i internih procesa u medicinskim organizacijama postaje sve važniji element obezbjeđenja kvaliteta

Smještaj:

Smještaj za učesnike obezbijeđen

je u Hotelu „Ras“ u okviru Etno-sela Stanišići po posebnim/beneficiranim uslovima:

• Jednokrevetna soba 70,00 KM

• Dvokrevetna soba 57,50 KM po osobi

• Trokrevetna soba 47,50 KM po osobi

• Boravišna taksa 2,50 KM

dnevno, po osobi

Navedene cijene odnose se na noćenje s doručkom.

• Kojim znanjima i vještinama treba da raspolaže zdravstveni radnik kako bi mogao da iskoristi sve prednosti interakcije s bazama znanja i sistema za podršku odlučivanju na korist pacijenta?

• Kako iskoristiti sve prednosti internet-tehnologija i „interneta stvari“ (Internet of Things) kod pružanja zdravstvenih usluga stanovništvu u rijetko naseljenim ili teško pristupačnim područjima, hroničnim bolesnicima i kategorijama pacijenata s ograničenim mogućnostima? Na ova i slična pitanja pokušaćemo da damo odgovor na naučnopraktičnoj konferenciji, a od 1. septembra ove godine planira se primjena dijela vještačke inteligencije u JZU Bolnici „Sveti vračevi” Bijeljina.

U
Služba za informisanje
ZDRAVSTVO 10

Pismo dobrodošlice

Poštovane kolege i dragi prijatelјi,

Sa posebnim zadovolјstvom, kao predsjednik Organizacionog odbora i kao Vaš domaćin, želim Vam dobrodošlicu na ovaj značajan međunarodni naučnopraktični skup, uz iskrene želјe da se u našem gradu osjećate prijatno.

Imamo izuzetnu čast i veliku odgovornost što će naša Bolnica „Sveti vračevi“ biti suorganizator jednog tako značajnog događaja

koji će okupiti veliki broj međunarodnih stručnjaka: naučnika, lјekara, inženjera, pravnika i ostalih relevantnih aktera iz oblasti zdravstva i tehnologije, s cilјem predstavlјanja i upoznavanja javnosti sa mogućnostima koje nam pruža digitalizacija i primjena vještačke inteligencije u zdravstvenom sektoru.

Uz ubrzani napredak tehnologije, digitalizacija i vještačka inteligencija igraju sve važniju ulogu u unapređenju zdravstvene njege, dijagnostike, liječenja i upravlјanja zdravstvenim sistemima.

Nadam se da će konferencija biti inspirativna i da će Vam pružiti priliku da stvorite nove kontakte i saradnje. Želimo da razmijenimo iskustva, ideje i najbolјe prakse, kako bismo stvorili inovativna rješenja koja će unaprijediti kvalitet i efikasnost zdravstvene zaštite.

Pored toga, želimo Vam pružiti priliku da uživate u prijatnoj atmosferi grada Bijelјine, koji se nalazi u srcu semberske ravnice, okružen sa dvije velike rijeke Drinom i Savom, na atraktivnom geografskom položaju – na tromeđi Srbije, Hrvatske i Republike Srpske, odnosno, BiH. Organizovali smo i društveni program jer želimo da provedete nezaboravno vrijeme i ostvarite nova poznanstva sa kolegama iz različitih oblasti.

Još jednom, želim Vam srdačnu dobrodošlicu, radujemo se susretu sa Vama i zajedničkom radu na unapređenju zdravstvene zaštite uz pomoć digitalnih tehnologija i vještačke inteligencije.

Srećan boravak na konferenciji!

Prof. dr Zlatko Maksimović Predsjednik Organizacionog odbora

Fondacija za kulturu kvaliteta i izvrsnost (FQCE), Beograd, Braincon technologies, Beč i JZU Bolnica „Sveti vračevi“ Bijelјina, pod pokrovitelјstvom Ministarstva zdravlјa i socijalne zaštite Republike Srpske,

organizuju: Naučno-praktičnu konferenciju

BUDUĆNOST vs. SADAŠNJOST U MEDICINI

DIGITALIZACIJA – VJEŠTAČKA INTELIGENCIJA

Etno-selo Stanišići i JZU Bolnica „Sveti vračevi“ Bijelјina, 31. avgusta do 1. septembra 2023. godine.

https://ai.bolnicabijeljina.com/

ZDRAVSTVO 11

Svjetski dan hepatitisa obilježava se svake godine 28. jula sa iljem podizanja svijesti o globalnom problemu virusnog hepatitisa i pokretanja promjena. U 2023. godini tema je ‘Ne mogu čekati’. Na Svjetski dan hepatitisa, 28. jula, pozivamo ljude da poduzmu mjere i podignu svijest o hepatitisu.

I ova kampanja za Svjetski dan hepatitisa 2023. naglašava potrebu za ubrzanjem borbe protiv virusnog hepatitisa i važnost testiranja i liječenja za osobe kojima je to potrebno. Cilj kampanje je da se naglase potrebe osoba sa virusnim hepatitisom i da se društvo pozove na hitnu akciju i suzbijanje stigme i diskriminacije.

Svjetski dan hepatitisa je javnozdravstveni događaj kako bi se podigla svijest o hepatitisu, grupi zaraznih bolesti koje napadaju jetru i pogađaju ljude širom svijeta. Ovaj dan takođe, zagovara testiranje i prevenciju za svih pet tipova bolesti: A, B, C, D i E. Svjetska alijansa za hepatitis ustanovila je ovaj dan 2008. godine, a danas se obilježava 28. jula u čast Baruha Samjuela Blumberga (1925-2011), koji je otkrio virus hepatitisa B 1967. godine, a dvije godine kasnije razvio je prvu vakcinu protiv hepatitisa B i za to otkriće dobio Nobelovu nagradu.

Virusni hepatitis je globalni zdravstveni problem. Procjenjuje se da na svijetu više od 350 miliona ljudi živi sa ovom bolešću, u najvećem broju sa infekcijom hepatitisom B.

Virusni hepatitis uzrokuje akutna i hronična oboljenja jetre i uzrokuje smrt zbog ciroze ili raka jetre. Svakih 30 sekundi jedna osoba umre od bolesti povezane s hepatitisom.

Procjenjuje se da oko 325 miliona ljudi širom svijeta živi s hroničnim hepatitisom. Oko 296 miliona ljudi živi s infekcijom hepatitisom B (HBV), a 58 milion ljudi živi s infekcijom hepatitisom C (HCV) prema procjenama iz 2015 godine.

Stigma i diskriminacija i dalje predstavljaju prepreku testiranju i liječenju. Samo deset odsto ljudi zna da žive sa hroničnim hepatitisom B, a oko 21 odsto sa hepatitisom C, još manje ih se liječi, a rak jetre povezan sa hepatitisom je u eksponencijalnom porastu, posebno u zemljama sa niskim i srednjim prihodima. Nadalje, akutni hepatitis A i E nastavljaju uticati na zdravlje ljudi širom svijeta.

Pregled epidemiološke situacije u Republici Srpskoj

Svjetski dan hepatitisa

Virusni hepatitis pogađa stotine miliona ljudi širom svijeta. Hepatitis

A se širi bliskim kontaktom sa zaraženom osobom rjeđe putem zaražene hrane i vode, a može i seksualnim kontaktom. Najčešće oboljevaju djeca školskog i predškolskog uzrasta. Ostavlja doživotni imunitet. U prevenciji ovog oboljenja najveći značaj ima održavanje higijene i obezbjeđivanje higijenski ispravne vode za piće. Zarazna žutica A je prethodnih nekoliko godina imala trend opadanja u Republici Srpskoj.

Hepatitis B je veoma zarazan virus, čak 50 do 100 puta je infektivniji od HIV-a. Može se prenijeti sa majke na dijete tokom porođaja, prilikom seksualnog odnosa bez zaštite, direktnim krvnim kontaktom, ukoliko se dijeli igla, brijač, pribor za nokte ili četkica za zube. Značajne mjere prevencije predstavljaju kontrola trudnica u poslednjem trimestru trudnoće na zaraženost HBV, sistematska vakcinacija djece, zdravstvenih radnika i drugih osoba koji su posebno izložene riziku (korisnici droge, štićenici specijalnih ustanova, osobe na hemodijalizi, seksualni partneri osoba sa hepatitisom B). Broj prijavljenih slučajeva HBV infekcije u Republici Srpskoj u 2021. godini je bio 17, u 2022. godini 36, dok su u prvoj polovini ove godine registrovana 22 nova slučaja.

U prevenciji ovog oboljenja od posebnog značaja je prepoznavanje sopstvenog rizika od hepatitisa C, kao i prevencije ove infekcije među korisnicima droga, njihovim uvođenjem u programe liječenja zavisnosti, odnosno obezbjeđivanje sterilnih špriceva

i igala. Ova bolest u Republici Srpskoj u 2021. godini registrovana je kod sedam osoba, u 2022. godini prijavljeno je 25 pacijenata kod kojih je novootkrivena ova bolest, a u prvih šest mjeseci zabilježeno je osam novih infekcija Povodom obilježavanja Svjetskog dana hepatitisa medicinsko osoblje Klinike za infektivne bolesti UKC Republike Srpske organizovalo je za sve zainteresovane građane besplatno, anonimno i dobrovoljno na HIV HBV i HCV brzim, orjentacionim testovima..

Afrička kuga svinja Procjena uticaja na ljudsko zdravlje

Afrička svinjska kuga je visokozarazna virusna bolest od koje obolijevaju domaće i divlje svinje. Ova bolest nije zoonoza, odnosno od nje ne obolijevaju ljudi niti druge životinje. S obzirom na to da zaražene svinje uginu u 95-100% slučajeva, afrička kuga ima razorne posljedice na populacije svinja, poljoprivredu i ekonomiju. Zbog toga je jako bitno zaustaviti širenje virusa iz zahvaćenih područja. Prenos virusa afričke kuge svinja može biti direktan, kontaktom između bolesnih i zdravih životinja, i indirektan, npr. preko kontaminirane hrane. U zaraženom, nekuvanom ili nedovoljno pečenom svinjskom mesu i proizvodima od svinjskog mesa, virus može ostati zarazan 3–6 mjeseci. Takođe, preživljava više godina u zamrznutom mesu. Zbog toga, bilo kakvo korištenje mesa zaraženih životinja, odlaganje zaraženog mesa u smeće i slično, može lako dovesti do širenja virusa.

Virus takođe mogu mehanički prenositi ljudi koji su bili u zaraženom području, putem kontaminirane odjeće, obuće, opreme i kože.

Zato je uništavanje svinja na zahvaćenim farmama, uz adekvatno korištenje lične zaštitne opreme, čišćenje i dezinfekciju, mjera koja se koristi za stavljanje pod kontrolu mogućnosti širenja infekcije.

28. jul 2023.
ZDRAVSTVO 12

Svjetska nedjelja dojenja obilježava se svake godine u više od 170 zemalja svijeta u prvoj nedjelji avgusta (od 1. do 7). Svjetska alijansa za podršku dojenju pokrenula je ovu kampanju kako bi skrenula pažnju na značaj dojenja, istakla prednosti dojenja i obezbijedila podršku dojenju u cijelom svijetu.

Obilježavanje Svjetske nedjelje dojenja je započelo 1992. godine, pri čemu je svake godine ona posvećena određenoj temi iz oblasti zdravstva, rada, majčinstva i položaja žena u društvu, međunarodnom kodeksu reklamiranja zamjena za majčino mlijeko, zajednici i njenoj ulozi u podsticanju dojenja, ekonomiji, nauci i obrazovanju i njihovoj ulozi u unapređenju dojenja, kao i dojenju kao osnovnom ljudskom pravu. Od 2016. godine obilježavanje ove nedjelje i uopšte njeni ciljevi su usklađeni sa ciljevima održivog razvoja. U 2018. godini Svjetska zdravstvena skupština je rezolucijom podržala svjetsku nedjelju dojenja kao važnu strategiju u oblasti promocije dojenja.

Ovogodišnja tema Svjetske nedjelje dojenja „Dojimo i radimo, učinimo to mogućim!“ biće usmjerena na dojenje i rad/zapošljavanje, pružajući stratešku priliku za zagovaranje osnovnih prava koja podstiču dojenje – porodiljsko odsustvo u trajanju od najmanje 18 sedmica, idealno više od šest mjeseci, kao i prilagođavanje poslodavaca/ radnog okruženja nakon ovog perioda, ukoliko majka nastavlja da doji.

Ovom temom želi se naglasiti da je neophodno stvoriti uslove da žene mogu dojiti onoliko dugo koliko to žele.

Više od pola milijarde zaposlenih žena nema osnovne uslove za majčinstvo, a znatno više ih se nađe bez podrške kada se vrate na posao. Svjetska zdravstvena organizacija planira da iskoristi ovu nedjelju za promociju najboljih praksi za podršku dojenju na radnom mjestu u različitim zemljama, u različitim sektorima te promoviše aktivnosti koje se mogu preduzeti kako bi se osiguralo da dojenje bude omogućeno za sve žene koje rade i gdje god rade.

Ciljevi ovogodišnje nedjelje dojenja su usmjereni na informisanje javnosti o perspektivi dojenja zaposlenih majki i roditeljstvu, zatim na prepoznavanje optimalnog plaćenog odsustva i podrške na radnom mjestu kao važnih alatki za omogućavanje dojenja i održivo dojenje, angažovanje sa pojedincima

Svjetska nedjelja dojenja

i organizacijama kako bi se poboljšala saradnja i podrška dojenju na poslu i, na kraju, akcija na poboljšanju uslova rada i relevantna podrška dojenju. Republika Srpska, u skladu sa kalendarom zdravlja, obilježava Svjetsku nedjelju dojenja. Aktivnosti koje se preduzimaju u ovoj oblasti su u koraku sa aktivnostima koje se preduzimaju u cijelom svijetu. U skladu sa Akcionim planom za prevenciju i kontrolu nezaraznih bolesti u Republici Srpskoj

za period od 2019. do 2026. godine predviđeno je osiguranje ravnomjerno visokih standarda promocije, zaštite i podrške dojenju u Republici Srpskoj.

Ove godine sedmicu dojenja obilježavamo i u svjetlu aktivnosti koje proizlaze iz Akcionog plana za prevenciju i kontrolu nezaraznih bolesti u Republici Srpskoj za period od 2019. do 2026. godine.

Odsjek za odnose s javnošću Ministarstva zdravlja i socijalne zaštite Republike Srpske

ZDRAVSTVO 13

онд здравственог осигурања Републике Српске почео је да рефундира трошкове вантјелесне оплодње паровима који су након два неуспјела покушаја вантјелесне оплодње трећи поступак, по својој жељи, урадили у иностранству. Ова могућност предвиђена је новим Законом о обавезном здравственом осигурању те је Фонд, у

Прегледи и

савјетовање у сврху планирања породице

трошку ФЗО РС

У Републици Српској прегледи, савјетовање и лијечење у сврху планирања породице спадају у здравствене услуге које у потпуности покрива обавезно здравствено осигурање, без плаћања партиципације. Исто тако, труднице и породиље су ослобођене плаћања партиципације за све услуге које спадају у обавезно здравствено осигурање. Трудницама и породиљама, уколико немају други основ осигурања, је омогућено од 2020. године да могу по основу трудноће, односно породиљског, да се пријаве на здравствено осигурање, као и женама које се налазе у процесу планирања породице. Фонд здравственог осигурања Републике Српске је још прије неколико година уврстио на Листу А лијекова који се издају на рецепт лијек ‘’прогестерон’’ (утрогестан), док су раније овај лијек у потпуности труднице плаћале саме. Исто тако, прецизирано је да право на овај лијек имају и жене у поступку вантјелесне оплодње. Такође, још раније је и лијек ‘’дидрогестерон’’ (лијек за одржавање трудноће и спречавање побачаја)

са Листе Б, гдје партиципација за све осигуранике износи 50% цијене лијека, пребачен на Листу

А. То значи да и овај лијек већ неколико година за труднице у потпуности финансира ФЗО РС.

Вантјелесна оплодња

складу са законом, имао обавезу да донесе и Програм за обезбјеђивање биомедицински потпомогнуте оплодње за 2023. годину, док Влада Републике Српске доноси одлуку о начину финансирања програма.

Напомињемо да парови и даље имају могућност да трећи поступак ураде у уговореној здравственој установи у Републици Српској која пружа ове услуге а, уколико желе, могу то да ураде и у иностранству уколико су претходна два поступка била неуспјешна. Фонд у складу са законом за вантјелесну оплодњу која се уради у иностранству паровима рефундира трошкове у износу колико кошта вантјелесна оплодња у Српској, односно према Цјеновнику ФЗО РС (5.500 КМ).

Будући да се недавно почело с примјеном овог права до сада је било око десетак рефундација које су се односиле на поступке урађене у иностранству након два неуспјела покушаја вантјелесне оплодње у Републици Српској. Такође, Фонд је ради лакшег тумачења овог права у пракси послао инструкције свим нашим пословницама у смислу шта је све потребно приложити од документације за рефундацију трошкова вантјелесне оплодње и сл.

Такође, Фонд је почео да финансира и нову услугу замрзавање репродуктивног материјала (онкофертилитет) која је, такође, предвиђена поменутим програмом. Ова услуга подразумијева замрзавање сперматозоида, замрзавање и чување ткива тестиса, одмрзавање сперматозоида или ткива тестиса, замрзавање и чување до десет јајних ћелија на период од пет година. Онкофертилитет је нова област у медицини у Републици Српској и значајан је искорак у правима из обавезног здравственог осигурања јер има за циљ да сачува и продужи фертилитет код жена и мушкараца обољелих од малигних болести. Наиме, замрзавање репродуктивних ћелија обољелих од малигних болести, прије излагања онколошким терапијама и зрачењима, пружа им могућност да касније добију потомство. Подсјећамо да Фонд здравственог осигурања Републике Српске финансира три покушаја вантјелесне оплодње за парове који на други начин не могу да остваре потомство. Вантјелесна оплодња је уврштена у права из здравственог осигурања у Републици Српској 2007. године, када је ФЗО финансирао један покушај, а касније је број покушаја повећан.

Ф
Почело се с рефундацијом трошкова урађених поступака у иностанству по избору
о
ZDRAVSTVO 14

ФЗО РС у цјелости финансира три поступка вантјелесне оплодње женама до 40 година старости, женама од 41. до навршене 42 године Фонд финансира 50% трошкова. Женама које су старије од 42 године, уколико роде дијете поступком вантјелесне оплодње, Фонд у потпуности рефундира трошкове у складу са нашим цјеновником.

Процедура одобравања овог права у Српској је једноставна, јер да би Фонд финансирао вантјелесну оплодњу потребан је приједлог гинеколога из уговоре-

сигураницима Фонда здравственог осигурања Републике Српске за вријеме болничког лијечења биће доступна три нова лијека која се примјењују код хипотензије, опструктивних плућних болести и гинеколошких обољења.

Наиме, на Листу лијекова који се примјењују у болничкој здравственој заштити уврштени

су лијекови аргипресин (за хипотензију), ипратропијум бромид, салбутамол (опструктивна плућна обољења) и каберголин (у превенцији лактације и код медицински оправданог прекида већ успостављене лактације). Такође, на болничку листу је уврштена и нова доза лијека морфин који дјелује на нервни систем. Нови лијекови у болницама биће доступни након што се спроведе процедура јавне набавке.

Подсјећамо, на приједлог стручних комисија за лијекове, а у складу са Правилником о поступку стављања, промјени статуса или брисања лијекова са листе лијекова и програма, листе лијекова се континуирано проширују са циљем побољшања доступности терапија осигураницима. Тако је у протеклих пет година само на болничку листу уврштено више од 20 нових терапија.

Поред нових лијекова на болничкој листи, и у Програм лијекова који се примјењују у ограничено доступним количинама уврштена је нова терапија. Ријеч је о лијеку офатумумаб за лијечење обољелих од мултипле склерозе, са одговарајућим индикацијама, а који

не здравствене установе те доказ

да је пар у браку или ванбрачној

заједници. Такође, уколико се процедура вантјелесне не може спровести у установи која има уговор са ФЗО РС, на приједлог уговорене установе парови могу да ураде поступак вантјелесне оплодње у некој од здравствених установа у иностранству, а Фонд им потом рефундира трошкове у складу са нашим цјеновником. Поред финансирања три покушаја вантјелесне оплодње, ФЗО РС је још 2017. године, међу првима у региону, увео и чување ембриона

на двије године. Финансирање ове услуге много значи паровима јер, захваљујући чувању ембриона, парови, посебно жене, не морају поново да се излажу хормонској терапији, а сам поступак краће траје. Подсјећамо да је ФЗО РС и због пандемије вируса корона донио одлуку по којој парови који се заразе короном у току поступка вантјелесне оплодње, имају право да понове тај поступак, односно ‘’не губе’’ један покушај вантјелесне (прекинута процедура им се не рачуна као обављени покушај). Ова одлука се и даље примјењује. Проширене листе лијекова

Осигураницима у

биће

нове терапије

спада у лијек високе ефикасности.

Између осталог, овај лијек смањује ризик континуираног погоршања болести и доприноси повећању квалитета живота обољелих. Подсјећамо, у Програму лијекова који је усвојен за ову годину налази се више од 100 лијекова за поједина ријетка обољења и друга тешка специфична обољења и те лијекове набавља ФЗО РС путем јавних набавки. Влада Републике Српске је крајем прошле године донијела Одлуку о начину финансирања Програма лијекова и за ову годину за лијекове из Програма планирано је више од 70 милиона КМ. Дакле, ради се о лијековима који се примјењују у ограничено доступним количинама и за које се формирају листе чекања према приоритетима које

одређују љекари УКЦ РС. Из тог разлога, за лијекове из Програма лијекова нису могуће рефундације трошкова. Међутим, настојимо из године у годину да уврштавамо нове лијекове у Програм и да они буду доступни што већем броју пацијената. Поређења ради, лијекови из Програма су 2016. године били доступни за 986 пацијената, а 2023. године процјена је да ће ове лијекове примати око 3.500 пацијената. Упоредо са повећањем броја пацијената, знатно су повећана и финансијска средства која се издвајају за ове лијекове, тако је 2021. издвојено око 40 милиона КМ, а 2023. - 71 милион КМ.

Поред уврштавања нових терапија на листе и брисања лијекова који се више не примјењују, континуирано се раде и измјене и допуне индикација у оквиру редовног ажурирања и усклађивања са важећим међународним смјерницама и клиничком праксом.

Припремила: Николина Душанић, руководилац Одјељења за односе са јавношћу

О
ZDRAVSTVO 15
болницама
доступне

д самог почетка рада настојали смо да никада ниједном родитељу не кажемо да нешто не може или не долази у обзир. Родитељи буду јако узнемирени, јер поред болесног дјетета морају да се суоче са тим да је за лијечење у иностранству потребна огромна свота новца коју они немају или добију предрачун за лијечење у износу од 560.000 евра! И када погледају да њихово дијете има шансу за изљечење, а да они немају тај новац, логично је да се уплаше. Са Фондом солидарности родитељи су добили финансијску сигурност и одговор Републике Српске и свих

Плишане меде малишанима

омиљена играчка

Директорка Фонда солидарности Јасминка Вучковић подсјетила је и на бројне акције које је Фонд солидарности спровео за дјецу и родитеље који су, како је рекла, још више повезали Фонд солидарности са тим породицама.

„Плишане меде које дјеца добијају када одлазе на лијечење у иностранство постале су њихова амајлија и омиљена играчка у болницама широм свијета. Управо захваљујући тој акцији између Фонда солидарности, дјеце и родитеља створила се посебна емоција. Ту су и наши излети које организујемо једном годишње гдје се сви дружимо и гдје бар један дан не мислимо да лијечење и докторе“, навела је Вучковићева и подсјетила да је Фонд солидарности са „Адико банком“ омогућио отварање штедних књижица за око 200 малишана који су лијечени преко Фонда солидарности у иностранству.

„Ми се надамо да ће та дјеца са 18 година отићи у банку, подићи тај новац и потрошити га на неке ситнице - здрава и срећна “, поручила је Вучковићева.

њених институција које су системски ријешиле вишегодишњи

проблем финансирања лијечења дјеце у иностранству, поручила је ово директорка Фонда солидарности за дијагностику и лијечење обољења, стања и повреда дјеце у иностранству Јасминка Вучковић гостујући на Радију Републике Српске у емисији „Радио ординација“.

Она је истакла да је прије оснивања Фонда солидарности у јавности била честа појава хуманитарних апела за прикупљање новца за лијечење дјеце и да се то сада, захваљујући оснивању наше установе, веома ријетко дешава.

„Прије оснивања наше установе ниједне вијести нису могле проћи без објављивања фотографија болесне дјеце којој је била потребна финансијска помоћ за лијечење у иностранству. Тадашњи и садашњи предсједник Републике Српске Милорад Додик прихватио је идеју од својих сарадника да се ријеши ово питање, али је посебно инсистирао да се то системски ријеши и да породице више не моле за помоћ. Тако је донесен закон и почео са радом Фонд солидарности“, појаснила је Вучковићева.

Она је истакла да је од почетка рада па до данас Фонд соли-

дарности финансирао лијечење и дијагностику за 607дјеце у иностранству за шта је издвојено више од 25 милиона КМ.

„Један одлазак у иностранство за многу дјецу, нажалост, не значи крај лијечења. Многа лијечења трају по неколико мјесеци или породице више пута у току године одлазе с дјецом на лијечење. Примјера ради, лијечење једног дјетета које болује од ријетке болести континуирано траје од 2019. године за шта Фонд солидарности на годишњем нивоу издваја око 1,5 милион КМ“, истакла је Вучковићева. Она је истакла да је Фонд солидарности само током 2022. године имао 269 уплата за лијечење у иностранству. Како наводи, Фонд солидарности, поред лијечења и дијагностике, породицама рефундира и трошкове пута и смјештаја.

„Ми смо се са тим изазовом суочили током короне када су многе породице остале заробљене у болницама и нису могле да се врате кућама. Тада смо донијели одлуку да рефундирамо трошкове смјештаја и то ћемо наставити и убудуће, јер ће та наша одлука бити уграђена и у подзаконски акт Фонда солидарности, будући да постоји законско упориште“, истакла је Вучковићева.

О
Директорка Фонда солидарности Јасминка Вучковић за Радио РС
Фонд солидарности системски
ZDRAVSTVO 16
ријешио проблем лијечења дјеце у иностранству

Она је истакла да се из године у годину повећава број захтјева за лијечење дјеце у иностранству и да само у овој години, до сада, Фонд солидарности има број захтјева који је некада био на годишњем нивоу. Како је истакла, већи број захтјева не значи нужно да је дошло до повећања броја болесне дјеце, него и да је то резултат континуираног информисања

о раду Фонда солидарности.

„Ми смо направили једну мрежу информисања која је функцио-

Управни одбор Фонда

здравственог осигурања Републике Српске усвојио

је измјене Правилника о условима

и поступку за објезбјеђивање медицинских средстава којима се на Листу медицинских средства уврштавају сензори за континуира-

но мјерење шећера за дјецу која болују од дијабетеса тип 1 до 18 година старости.

Напомињемо да је измјеном правилника такође омогућено да корисници сензора и даље имају право на одређен број тракица за мјерење шећера у крви, што, иначе, није пракса у другим земљама које финансирају сензоре (у другим земљама је пракса да осигураници који користе сензоре немају право на тракице).

Како је предвиђено измјеном правилника, Фонд ће финансирати сензоре за очитавање континуираног мјерења шећера који трају седам дана, као и сензоре у трајању од 14 дана у зависности који сензори буду препоручени пацијентима. Како је дефинисано правилником, када су у питању сензори који трају седам дана, Фонд ће финансирати 52 сензора годишње за једног осигураника, а сензоре у трајању од 14 дана ће финансирати 26 комада годишње.

Процедура остваривања овог права дефинисана је на начин да сензоре предлаже специјалиста педијатар ендокринолог, док Фонд на основу тог приједлога доноси рјешење и издаје налог за шестомјесечне потребе овог медицинског средства.

Цјеновником медицинских средстава, који је такође саставни дио поменутог правилника, дефи-

нална, тако да је једноставно доћи до информација о раду Фонда солидарности. Будући да стручноадминистративне послове за нашу установу обављају запослени Фонда здравственог осигурања РС који имају развијену мрежу својих пословница у свим дијеловима РС, то нам и те како помаже у преношењу информација о постојању наше установе. Свака пословница ФЗО РС добила је инструкције које се односе на наш рад и родитељи преко пословница

Ново медицинско средство

ФЗО РС могу предати захтјев за финансирање лијечења Фонду солидарности. С друге стране, наша интернет страница је максимално прилагођена родитељима, јер нам је било у циљу да они одмах и на једном мјесту нађу најбитнију информацију, а то је шта је потребно да би Фонд солидарности финансирао лијечење у иностранству. Ипак, највећи гласници о постојању Фонда солидарности су родитељи“, истакла је Вучковићева.

18 година која болују од дијабетеса типа 1

нисана је и цијена сензора коју ће финансирати ФЗО РС. Формирана цијена је резултат анализе

стања на тржишту као и разговора са представницима удружења

пацијената, а све у циљу да осигураници не морају да доплаћују за поменуто медицинско средство.

Тако ће сензоре у трајању од седам дана Фонд финансирати по цијени од 65 КМ по комаду, а сензоре у трајању од 15 дана дана 130 КМ по комаду.

Иначе, у Републици Српској

око 600 дјеце до 18 година је обољело од дијабетеса тип 1. Подсјећамо да обољели од дијабетеса, укључујући и дјецу, у Републици Српској спадају у категорију осигураних лица за која обавезно здравствено осигурање финансира широк спектар права и то у потпуности будући да

су обољели од дијабетеса ослобођени плаћања партиципације код лијечења основне болести, као и њених компликација. Напомињемо да су дјеца до 18 го-

дина, по Новом закону о обавезном здравственом осигурању, ослобођена плаћања партиципације за све услуге које спадају у обавезно здравствено осигурање (раније је било до 15 година). Фонд за обољеле од дијабетеса у потпуности финансира инсулине, тракице за мјерење шећера, ланцете, шприцеве, игле, апарате за брзо одређивање глукозе у крви, потрошне материјале за инсулинске пумпе. Обољелима од дијабетеса су доступни и инсулини најновије генерације које не финансирају поједине земље региона у којима се издваја знатно више средстава за здравство. Такође, Фонд је од прије три године почео да финансира и инсулинске пумпе које ранијих година није финансирао. Годишњи трошак Фонда само за лијекове и потрошни материјал за обољеле од дијабетеса износи око 33,8 милиона КМ, не рачунајући лијечења, медицинска средства и друго. У односу на 2016. годину издвајања за ове намјене су повећана за чак 50 одсто.

Са уврштавањем сензора на Листу медицинских средстава учињен је још један значајан искорак за који сматрамо да ће значајно унаприједити квалитет живота обољелих.

Припремила: Дарија Филиповић Остојић, портпарол ФЗО РС

ZDRAVSTVO 17
о трошку ФЗО РС Сензори за дјецу до

Republici Srpskoj u registru Centra za rijetke bolesti evidentirano je oko 800 oboljelih, za koje je posljednjih godina u Srpskoj učinjen iskorak u terapiji, izjavio je pomoćnik ministra zdravlja Republike Srpske Milan Latinović.

Predstavljen je Program za rijetke bolesti do 2024. godine, koji obuhvata aktivnosti nadležnih institucija, zdravstvenih ustanova i udruženja pacijenata koje je potrebno preduzeti kako bi zaštita oboljelih od rijetkih bolesti bila unaprijeđena.

Doktor Latinović je rekao da je terapija vrlo skupa jer su to novi lijekovi koji, nažalost, u BiH nisu ni registrovani jer proizvođači nemaju taj interes.

“Mi nalazimo razne načine da kroz interventne uvoze riješimo pitanje tih lijekova”, rekao je dr Latinović u Banjaluci povodom predstavljanja Programa za rijetke bolesti Republike Srpske do 2024. godine.

On je kao primjer za ovo naveo da je za cističnu fibrozu omogućen lijek obezbjeđivanjem šest miliona KM kako bi oboljeli imali kvalitetniji život i produžili životni vijek, a ukupno oko 70 miliona KM izdvojeno je za osamdesetak lijekova koji se koriste za liječenje pacijenata u Srpskoj.

“Uspostavljanjem Fonda solidarnosti za liječenje djece u inostranstvu napravljen je iskorak u tome da je dijagnostika koja je složena i zahtijeva savremena genetska istraživanja, omogućila da neki od naših pacijenata dobiju dijagnozu i terapijski proces liječenja u nekim od evropskih centara”, dodao je dr Latinović.

On je podsjetio da od 2015. godine u Republici Srpskoj postoji Program

Anđelka Stupar, majka dječaka sa rijetkom bolesti metabolizma za šta u svijetu ne postoji terapija. Njemu je 14, a kao da ima sedam godina. Sve što može da se uradi, priča Anđelka, je pravilna ishrana, njega i rehabilitacija.

Danonoćno njeguje sina i zbog toga ne može često da izlazi iz kuće. Anđelki zato najteže pada kada dođe vrijeme za obnovu prava koja njen sina ima.

- Svake godine devet prava obnavljamo. I sada upravo to kako ja rijetko mogu da izađem iz kuće. Pelene, recimo, svake godine obnavljam pravo na njih, koje iziskuje nove nalaze, odlazak na dva mjesta da bih to dobila i predala - kaže Stuparova.

Predstavljen Program za rijetke bolesti do 2024. godine –značajni iskoraci u liječenju

U Srpskoj 800 oboljelih od rijetkih bolesti

aktivnosti i ovo je već drugi programrekao je Latinović.

Predsjednica Saveza za rijetke bolesti Republike Srpske Biljana Kotur navela je da je kod oko 800 oboljelih od rijetkih bolesti u Srpskoj riječ o više od 200 različitih dijagnoza, što pokazuje koliko je složena problematika.

Prema njenim riječima, teško je odrediti pravac djelovanja za tako različite grupe oboljenja, dodajući da je uloga Saveza da ukazuje na probleme oboljelih, da se o tome što više priča, učestvuje u edukacijama ljekara kao glas pacijenata, kao i u pružanju pomoći teško oboljelima koji žive uz pomoć aparata.

za rijetke bolesti u cilju da se tim potrebama odgovori na organizovan i sistematičan način multidisciplinarnim pristupom.

Dr Latinović je naveo da je posljednjih godina rađeno na zakonskoj regulativi tako da su rijetke bolesti prepoznate i u Zakonu o zdravstvenoj zaštiti i u Zakonu o zdravstvenom osiguranju, a u Univerzitetskom kliničkom centru Republike Srpske je uspostavljen Centar za rijetke bolesti te je imenovana i Komisija za rijetke bolesti.

- Na 100.000 građana jedan oboli od rijetkih bolesti. Jako su zahtijevne za brigu i liječenje. Mi smo uradili sistematičan pristup kada su u pitanju ove osobe i njihove porodice. Pokrenuli smo

Ona je istakla da su važne i promocija programa kako bi se podigla svijest kod građana.

- Za pacijente je dosta urađeno u prethodnom periodu. Radimo svi da bi se određene stvari poboljšale i neke su već unapređene. Srpska je učinila iskorak u ovoj oblasti u odnosu i na zapadne zemlje. - istakla je Koturova.

U
ZDRAVSTVO 18

astavljamo proces edukacije medicinskih sestara koji je posvećen unapređenju njihovih znanja iz oblasti njege i brige o pacijentima, a posebno smo usmjereni ka razvoju sestrinskih usluga u zajednici”, rekao je u Čelincu pomoćnik ministra za zdravstvenu zaštitu Milan Latinović tokom okruglog stola o ovoj temi.

Doktor Latinović je podsjetio da Ministarstvo zdravlja i socijalne zaštite Republike Srpske kontinuirano radi na unapređenju sestrinske profesije te s tim u vezi koordinira u realizaciji Projekta jačanja sestrinstva u BiH, koji implementira Fondacija “Fami”.

Na skupu su potpisani i sporazumi između predstavnika opština Čelinac, Mrkonjić Grad i Kneževo, lokalnih domova zdravlja i Projekta jačanja sestrinstva u BiH, uz podršku Ministarstva zdravlja i socijalne zaštite Republike Srpske o početku implementacije unapređenja usluga sestrinstva u zajednici i povećanju njihove dostupnosti sa akcentom na ranjive i socijalno isključene grupe stanovništva.

Doktor Latinović je naveo da se nastoji unaprijediti multisektorska saradnja između zdravstvenog i socijalnog sektora uz koordinaciju lokalne samouprave.

“Ovim opštinama će biti priključeni i domovi zdravlja iz Šipova, Ribnika, Kotor Varoša i Istočnog Drvara koji će poslati svoje medicinske sestre na edukaciju. Predviđeno je da bude uključeno 13 domova zdravlja, a ovo je prva grupa”, istakao je dr Latinović.

Potpisani sporazumi za unapređenje usluga sestrinstva u zajednici u tri opštine

Uvođenje modela sestrinstva u zajednici

Načelnik opštine Mrkonjić Grad Dragan Vođević je rekao da su medicinske sestre i tehničari prva karika koja funkcioniše u zdravstvenom sistemu, a nezaobilazni su i u procesu dijagnostike i liječenja.

“Ovaj projekat je veoma važan, posebno za manje lokalne zajednice koje su razuđene i čiji pacijenti nemaju dostupnu zdravstvenu zaštitu na nivou većih gradova. Opština Mrkonjić Grad već dvije godine izdvaja sredstva za patronažni mobilni tim koji svakodnevno obilazi pacijente, pruža usluge na kućnom pragu i ne naplaćuje ih”, rekao je Vođević.

Direktor Doma zdravlja Čelinac dr Draško Kuprešak podsjetio je da je ovaj dom zdravlja jedan od prvih gdje je implementirana i porodična medicina i trezorski način poslovanja.

“S radošću smo dočekali i ovaj projekat koji ima dvije komponente - edukaciju koja će se paralelno odigravati sa opremanjem. Dom zdravlja u Čelincu u radu realizuje i usluge kućnih posjeta, patronažnih posjeta iz različitih organizacionih cjelina, a

sa ovim novim znanjima i opremom to ćemo podići na viši nivo”, rekao je dr Kuprešak.

Menadžer Projekta jačanja sestrinstva u BiH Eldin Fišeković rekao je da se razgovaralo o uvođenju modela sestrinstva u zajednici, odnosno polivalentne patronaže u proces svakodnevnog pružanja usluga.

“Cilj ove projektne inicijative, koja traje već jedanaestu godinu, jeste da se ove usluge učine dostupnim svim stanovnicima, naročito socijalno isključenim kategorijama”, rekao je Fišeković.

On je naveo da je obuka koncipirana na način da se određenom broju medicinskih sestara, u prvoj grupi do 25, stave na raspolaganje edukativni sadržaji koji su relevantni za oblast patronaže.

N
ZDRAVSTVO 19
Odsjek za odnose s javnošću Ministarstva zdravlja i socijalne zaštite Republike Srpske

UZavodu za fizikalnu medicinu i rehabilitaciju „Dr Miroslav Zotović“ u toku juna 2023. godine održana je praktična radionica za izradu i primjenu Sforzesco midera –specijalne vrste rigidnog midera koji se koristi u liječenju strukturalne skolioze kod djece u razvoju.

Ova praktična radionica je nastavak edukacije započete u julu prošle godine na kojoj su članovi Tima za skoliozu savladali teorijski dio edukacije. Ove godine, povodom održavanja praktičnog dijela edukacije, Zavod je imao tu čast da kao predavača ugosti priznatog stručnjaka iz Italije, dr Fabia Zainu, specijalistu fizijatra sa Istituto Scientifico Italiano Colonna Vertebrale, vodeće ustanove u provođenju ove vrste liječenja skolioze.

Prisustvo dr Fabia Zaine smo iskoristili za kratak intervju koji donosimo čitaocima časopisa „Medici.com“.

Možete li nam reći nešto više o sadržaju kursa koji je održan u Institutu “Dr Miroslav Zotović”?

Kurs je bio radionica o ortozama. U saradnji sa Domenikom Palinijem, CPO iz Pescare (Italija), radili smo na izradi ortoze prema Sforzesco (SPORT konceptu), zajedno sa pacijentima koji imaju skoliozu. Procienjivali smo AIS, mjerili i skenirali pacijente, izrađivali ortoze i provjeravali ih sa pacijentima.

Koje su prednosti “Sforzesco” ortoza/midera?

To je veoma efikasna ortoza, što je dokazano naučnim publikacijama. Namijenjena je za liječenje skoliotičnih krivina za koje je indikovano operativno liječenje. Pomoću Sforzesco spinalne ortoze ove krivine se mogu stabilizovati i na taj način može se izbjeći hirurški tretman. Principi korekcije su bazirani na 3D procjeni pacijenta, a dizajn ortoze ne zavisi od klasifikacije (što ponekad može biti izazovno pri odabiru za određene pacijente).

Da li broj pacijenata sa deformitetima kičmenog stuba raste u Evropi i da li je poboljšana rana detekcija?

Broj pacijenata je stabilan. Naža-

Intervju:

Dr Fabio Zaina

specijalista fizijatar sa Istituto

Scientifico Italiano Colonna Vertebrale

lost, u većini zemalja se rana detekcija ne provodi u dovoljnom obimu, zbog čega pacijenti nerijetko dolaze na liječenje u poodmaklom stadijumu deformiteta kičmenog stuba. Neophodno je detaljno provođenje skrininga u što više dobnih skupina, naročito tokom perioda intenzivnog rasta.

Da li danas imamo značajnije novosti u konzervativnom tretmanu skolioze i koje su to novosti?

Iako je efikasnost ortoza za skoliozu dokazana, potrebno nam je više podataka o primjeni fizikalne terapije, odnosno specifičnih terapijskih vježbi za skoliozu. Neophodna su nam dalja istraživanja o protokolima i uporednim

studijama primjene različitih ortoza ili vježbi. Novi alati koji su dostupni ili gotovo spremni su: novi algoritmi za skrining koji integrišu različite informacije sa skoliometrom kako bi se smanjilo nepotrebno upućivanje na Timza skoliozu i automatski djeca upućivala na RTG snimanje. Kako ocjenjujete rad tima za skoliozu u Zavodu „Dr Miroslav Zotović“ i gdje vidite mogućnosti za poboljšanje?

Zavod je odličan centar za tretman skolioze sa visokokvalifikovanim i motivisanim timom. Postoje mogućnosti za poboljšanje u povećanju broja različitih pristupa sa ortozama i početku sistematskog prikupljanja podataka o pacijentima kako bi se omogućila dalja istraživanja.

ZDRAVSTVO 20

Otkriće lasera obogatilo je medicinsku nauku veoma vrijednim terapijskim sredstvom, koje predstavlja značajan savremeni način liječenja u fizikalnoj medicini. Tretman laserom ima čitav niz prednosti u odnosu na druge načine liječenja, neinvazivan je i potpuno bezbolan, a traje neuporedivo kraće.

Posljednjih godina terapijske indikacije za tretman laserom su proširene, a interes za laseroterapiju raste. Laseroterapija širom svijeta se sve više primjenjuje. Naziv predstavlja skraćenicu od početnih slova riječi “Light Amplification by Stimulated Emission of Radiation” što u prevodu znači svjetlost pojačana stimulisanom emisijom zračenja.

Fizički osnovi

Dovođenjem energije iz spoljnog izvora kvantni sistemi (atomi, joni, molekuli i dr.) prelaze iz stanja niže u stanje više energije što se naziva pobuđivanje, nakon čega se vraćaju na osnovni energetski nivo pri čemu se apsorbovana energija oslobađa u vidu emisije fotona. Stimulisano zračenje nastaje tako što emitovani fotoni pri sudaru sa pobuđenim česticama izazivaju umnožavanje fotona u vidu “lavine”. Svi emitovani fotoni su jednaki, tj. imaju istu talasnu dužinu, istu fazu i isti smjer kretanja pa je tako dobijena svjetlost monohromatska, koherentna i usmjerena.

Prema tipu aktivnog medijuma moguće je podijeliti lasere na čvrste, gasovite i tečne, a prema snazi zra-

Laseroterapija

izazivaju hiperpolarizaciju ćelijskih membrana i podižu prag bola, povećavaju produkciju endogenih opioida i modulišu percepciju bola gate mehanizmom a smanjujući zapaljenjsku reakciju i edem, izazivaju resorpciju i eliminaciju algogenih supstanci. Pretpostavlja se da se antizapaljenjsko dejstvo ostvaruje smanjenjem nivoa prostaglandina, stimulacijom nespecifične humoralne odbrane povećavajući sintezu komplemenata i interferona, aktiviraju neutrofilne leukocite i makrofage. Otok smanjuju modifikacijom hidrostatskog i osmotskog pritiska pri čemu se intersticijalna tečnost resorbuje.

čenja koju emituju mogu se podijeliti na lasere male i velike snage. Rad lasera može biti konstantni i impulsni.

Terapijski laseri

Laserski zraci talasne dužine od 600 do 1100 nm ne apsorbuju se u velikoj mjeri ni u obojenim pigmentima ni u vodi pa dublje prodiru u tkiva. Primjenjuju se sa malom snagom i djeluju biostimulativno i terapijski. Nazivaju se i hladnim laserima jer tkiva ne zagrijavaju znatno.

Apsorbovani laserski zraci povećavaju energetski bilans ćelije podstičući sintezu ATP-a, ubrzavaju metaboličke procese, utiču na formiranje slobodnih radikala koji predstavljaju aktivne centre enzima, djeluju na naponsko zavisne jonske kanale, izazivaju hiperpolarizaciju ćelijske membrane.

Na terapijskom planu stimulišu regeneraciju tkiva, djeluju analgetski, antiinflamatorno i antiedematozno. Regeneraciju tkiva stimulišu tako što povećavaju sintezu dezoksiribonukleinske kiseline, podstiču mitozu ćelija, povećavaju produkciju kolagena, izazivaju vazodilataciju, povećavaju oksigenaciju, mijenjaju ph i poboljšavaju nutriciju.

U smanjenju mišićno-skletnog i neurogenog bola pretpostavlja se da

Način primjene i indikacije

Laser se primjenjuje na dva načina: skeniranjem i pomoću ručne sonde. Skeniranjem se zrače veće površine i otvorene rane i ulkusi, dok se pomoću sonde, direktnim kontaktom, zrače bolne triger i akupunkturne tačke i ograničene površine na tijelu na kojima je patološko žarište ili se ono tu projektuje.

Indikacije za laseroterapiju su: povrede zglobova, ligamenata, tetiva i mišića, prelomi kostiju, sportske povrede, epikondilitis, entezopatije, bur-

Zavod za fizikalnu medicinu i rehabilitaciju „Dr Miroslav Zotović“
ZDRAVSTVO 22
Dr Dušan Budimić specijalista fizikalne medicine i rehabilitacije

zitis, cervikalni i lumbalni sindrom, artroze u fazi jakih bolova, reumatoidni artitis, radikulopatije, neuritis, fibromijalgija, periartitis ramena i kuka, postherpetična neuralgija, neuralgija trigeminusa dekubitusi i varikozni ulkusi, opekotine i otvorene rane koje sporo zarastaju, fantomski bolovi, sindrom karpalnog tunela i dr.

Kada su u pitanju hronična stanja, naročito bolna, tokom terapije može da nastane tzv. tretman reakcija koja se ispoljava pojačanim bolom i često

označava početak normalizacije stanja. Za vrijeme reakcije zračenje treba privremeno prekinuti. Kada su u pitanju akutna stanja reakcija se po pravilu ne javlja već odmah nastaje poboljšanje. Zaštitne mjere: Radi zaštite koriste se okluzivne naočare sa posebnim filterom. Kada je u pitanju skenirajući laser zidovi i strop treba da su tamnozeleno obojeni, a pod ne smije da bude lakiran. U prostoriji ne smiju da budu ogledala i predmeti koji reflektuju svjetlost.

U Zavodu za fizikalnu medicinu i rehabilitaciju „Dr Miroslav Zotović“, Banjaluka, postavljanje indikacije za laseroterapiju uz doziranje i praćenje kontraindikacija kao i njeno provođenje je u nadležnosti specijaliste fizikalne medicine i rehabilitacije. S obzirom na do sada dobre postignute terapijske rezultate i zadovoljstvo pacijenata laseroterapija zauzima važno mjesto u terapijskim procedurama koje se koriste u liječenju u našoj ustanovi.

ECPD kurs iz laseroterapije sa prof. Milicom Lazović sa Medicinskog fakulteta Univerziteta u Beogradu
ZDRAVSTVO 23

Svijest o značaju zdravlja kostiju je u posljednje vrijeme porasla mada ih još uvijek veliki broj ljudi uzima zdravo za gotovo. Zbog složene građe, kosti su podložne brojnim bolestima, koje se javljaju zbog poremećenog metabolizma vitamina D i kalcijuma. Bolesti se manifestuju u vidu osteoporoze, osteomalacije, osteopenije i sličnih poremećaja. Kosti su živi organ, što potvrđuje i Wolfov zakon koji govori da će se kost zdrave osobe prilagoditi opterećenju kojem je izložena, odnosno ukoliko se optereti nekom fizički zahtjevnom aktivnošću, kost će ojačati a ako miruje, kost će oslabiti.

Kosti su organ s mnogobrojnim funkcijama koji raste i mijenja se tokom života. Pravilno funkcionisanje kostiju usko je vezano uz njima okolne strukture, odnosno uz mišiće, ligamente, krvne sudove i nerve.

Sastav kostiju

Sastoje se od meke i čvrste mase.

Meku masu čine voda, proteini (kolagen) i same koštane ćelije.

Čvrstu masu najvećim dijelom čini mineral hidroksiapatit, čiji je glavni sastojak kalcijum. Promet kalcijuma je pod kontrolom dva važna hormona koji djelujući na koštane ćelije utiču na njegovu koncentraciju u krvotoku. To su: kalcitonin, hormon štitne žlijezde koji snižava koncentraciju kalcijuma u krvotoku i pospješuje njegovo odlaganje u kosti i parathormon, koji povećava izlučivanje kalcijuma iz kosti u krvotok. Osim ova dva hormona, ulogu u prometu supstanci u kostima imaju i polni hormoni.

Uloga kostiju u organizmu:

• daju oslonac i oblik tijelu

• omogućavaju kretanje

• pružaju zaštitu tijelu

• neophodne su za prizvodnju krvnih ćelija, s obzirom na to da se u njima nalazi koštana srž

• imaju važnu metaboličku ulogu

• djeluju i kao skladište u koje se

Kako kosti sačuvati zdravima

odlažu štetne materije te čuvaju organizam od njihovog toksičnog djelovanja

Kako kosti sačuvati zdravima Svakodnevni unos preporučene količine kalcijuma treba da bude:

• djeca od 1-8 godina starosti treba da uzimaju 500-800 mg kalcijuma,

• djeca od 9-18 godina (doba intenzivnog rasta) 1300 mg,

• odrasli od 19-50 godina 1000 mg,

• stariji od 50 godina, zbog opasnosti od osteoporoze, 1000-1500 mg kalcijuma

• unos hrane bogate kalcijumom (mlijeko i mliječni proizvodi, suve smokve, konzervisanu ribu jesti sa kostima, zeleno povrće, razne žitne pahuljice i napitke sa pojačanim sadržajem kalcijuma)

njegovu aktivnu formu. Za muškarce je potrebno svakodnevno unijeti 400-420mg i 310-320 mg za žene, što se smatra osnovom za prevenciju.

Svakodnevno unositi i:

• fosfor (ulazi u sastav minerala koji izgrađuju kosti),

• cink - učestvuje u mineralizaciji kostiju,

• vitamin A stimuliše rad ćelija koje izgrađuju kosti i usporava njihovu razgradnju,

• nizak nivo vitamina K je povezan sa manjkom koštane gustine

• redovna fizička aktivnost - posebno vježbe snage, odnosno vježbe pod opterećenjem (sa tegovima, trakama, na spravama) antigravitacijske vježbe (hodanje, trčanje, penjanje po stepenicama, plesanje...)

• prestati koristiti alkohol i cigarete

• zdravo se hraniti

• provjeriti rizik za pojavu osteoporoze (žene u menopauzi obavezno uraditi test na osteoporozu)

• veoma je važan unos vitamina D dnevno od 400 do 800IU

• vitamin D spada u grupu liposolubilnih vitamina te se može u organizam unijeti putem margarina ili raznih ulja

• vitamin D, osim hranom, može se proizvesti u koži sunčanjem

• unos vitamin K2 aktivno djeluje na proteine krvnih sudova doprinoseći njihovoj elastičnosti kao i pravilnoj ugradnji kalcijuma u kosti. Ovaj vitamin nastaje u procesu bakterijske fermentacije te su njegovi izvori fermentisane namirnice kao što su sir, jogurt. Vitamin K2 u kombinaciji sa vitaminom D osigurava pravilnu mineralizaciju kostiju te doprinosi prevenciji osteoporoze (osteoporoza je progresivna sistemska bolest koštanog tkiva koju karakteriše niska koštana masa)

• važan je unos magnezijuma koji učestvuje u konverziji vitamina D u

Samo tri koraka za zdrave kosti Imajući u vidu značaj i ulogu kostiju, potrebno im je posvećivati što više pažnje s obzirom na to da je zdravstveno stanje naših kostiju direktan odraz naše brige o svom tijelu. Odvikavanje od pušenja i alkohola (ako pušimo cigarete i koristimo alkohol), svakodnevno upražnjavanje fizičke aktivnosti i izblansirana ishrana, predstavljaju važnu investiciju u zdravu i duboku starost. Nikada nije prerano baviti se zdravljem svojih kostiju, ali može biti prekasno ukoliko se čeka dijagnoza kako bi se nešto preduzelo. Bez očuvanih i zdravih kostiju nema kvalitetnog života i zdrave starosti.

Literatura

1. Damjanović,A.et all. Vodič za savjetovanje pacijenata u apoteci, Farmaceutsko društvoRS i Farmaceutsko društvo Federacije BiH, Banjaluka, 2013.

2. Edvards,C.,Stilman,P.: Mala oboljenja ili velike bolesti. IV izdanje, Beograd,2011.

3. https//bivitis.com/vitamini/zdrave kosti/, pristupljeno 260720023-

4. Ugrešić, N.(urednik)Farmakoterapija za farmaceute, Farmaceutski fakultet Beograd,2017.

Primarijus mr ph. Anđelka Damjanović, spec. farmaceutske informatike
ZDRAVSTVO 24

Opstruktivna apneja u spavanju (OSA) je često oboljenje, koje se u opštoj populaciji javlja kod 10-20% osoba, što predstavlja značajan porast učestalosti u zadnjim decenijama, vjerovatno uzrokovano porastom učestalosti gojaznosti i starenjem populacije.

Karakteriše se potpunim ili djelimičnim prekidom protoka vazduha tokom spavanja, najčešće zbog kolapsa mekih struktura ždrijela, zbog čega dolazi do hipoksemije, fragmentacije sna, stimulacije simpatičkog nervnog sistema, hormonskog disbalansa te mehaničkih efekata povećanog intratorakalnog pritiska (prilikom pokušaja disanja nasuprot zatvorenim disajnim putevima).

Opstruktivna apneja u spavanju se često javlja udružena sa drugim oboljenjima, bilo da OSA izaziva ili pogoršava druga oboljenja ili da ta oboljenja izazivaju ili pogoršavaju OSA. Najčešće se javlja udružena sa hipertenzijom, naročito sa hipertenzijom rezistentnom na liječenje, fibrilacijom atrija i drugim poremećajima srčanog ritma, koronarnom bolesti srca, zatajenjem srca, šećernom bolesti, gojaznošću, GERB-om, astmom, HOBP, depresijom, demencijom i nekim tumorima.

Najčešći simptomi su hrkanje, dnevni umor, pospanost, gubitak koncentracije, razdražljivost, jutarnja glavobolja, učestalo noćno buđenje, učestalo noćno mokrenje, gorušica i drugi. Simptomi su nespecifični i oboljenje dugo vremena ostaje neprepoznato i nedijagnostikovano. Smatra se da i do 85% slučajeva OSA ostaje neprepoznato što predstavlja veliki rizik za oboljelu osobu ali i za društvo u cjelini, jer oboljele a neliječene osobe imaju veći rizik da izazovu saobraćajne udese i industrijske havarije a češće i više koriste zdravstenu zaštitu, zbog simptoma samog oboljenja ali i gore navedenih komorbiditeta, koji se ne mogu adekvatno kontrolisati bez odgovarajućeg liječenja OSA.

Osobe sa neprepoznatom OSA imaju veći perioperatIvni rizik i zato ne iznenađuje da su upravo anesteziolozi razvili brz, praktičan i senzitivan test za prepoznavanje osoba koje imaju povišen rizik za OSA. Chung i saradnici su još 2008. godine medicinskoj javnosti predstavili STOP BANG upitnik. Upitnik se sastoji od 8 pitanja na koja se dogovara sa da i ne. Pitanja se odnose na hrkanje (snoring), umor (tired), da

Značaj STOP BANG upitnika u postavljanju dijagnoze opstruktivne apneje u snu

STOP – BANG UPITNIK

Da Ne • • S (hrkanje, eng. snore)

Da li glasno hrčete (glasnije od normalnog govora, dovoljno glasno da se čuje iz susedne prostorije, ili da Vas partner udara laktom zbog hrkanja u toku noći)?

Da Ne • • T (umor, eng.tired)

Da li se često osećate umorno, iscrpljeno, ili pospano tokom dana (na primer za vreme upravljanja vozilom ili razgovora)?

Da Ne • • O (prekid u disanju, eng. observed)

Da li je neko primetio da ste prestali da dišete ili da se gušite tokom spavanja?

• • P (povišen krvni pritisak, eng. pressure)

Da Ne

Da li imate ili se trenutno lečite od povišenog krvnog pritiska?

Da Ne • • B (Indeks telesne mase, eng. BMI)

Indeks telesne mase veći od 35 kg/m2?

Da Ne • • A (godine života, eng. age) Stariji od 50 godina?

Da Ne • • N (obim vrata, eng. neck)

Obim vrata veći od 41 cm (žene) tj 43 cm (muškarci)?

Da Ne • • G (pol, eng. gender) Muški pol?

PRAVILA OCENJIVANJA

Za opštu populaciju

OSA – Nizak rizik: DA na 0 - 2 pitanja

OSA – Umeren rizik: DA na 3 - 4 pitanja

OSA – Visok rizik: DA na 5 - 8 pitanja

Vlasništvo University Health Network.

Modifikovano iz

Chung F et al. Anesthesiology 2008; 108: 812-821

Chung F et al Br J Anaesth 2012; 108: 768-775

Chung F et al J Clin Sleep Med Sept 2014

Preuzeto iz Popević MB, Milovanović A, Nagorni-Obradović L, Nešić D, Milovanović J, Milovanović AP. Screening commercial drivers for obstructive sleep apnea: Validation of STOP-BANG questionnaire. International Journal of Occupational Medicine and Environmental Health. 2017;30(5):751–761

Dr Sanja Glišić, spec. pulmolog, ZU “Pulmo S”, Teslić, pulmos-teslic.ba, polisomnografija.ba
ZDRAVSTVO 26

li su primijećeni prestanci disanja tokom spavanja (observed), da li osoba ima ili se liječi od hipertenzije (pressure), da li je indeks tjelesne mase (BMI) veći od 35 kg/m2, da li je stariji od 50 godina (age), da li je obim vrata veći od 41 cm za žene odnosno 43 cm za muškarce (neck) i da li je muškog pola (gender). Skor može bit od 0 do 8.

Senzitivnost STOP BANG skora da detektuje srednje tešku (AHI >15) do tešku OSA (AHI >30) je 93% i 100%. Negativna prediktivna vrijednost je 90% i 100%.

Pacijenti koji imaju STOP BANG 0 do 2 imaju nizak rizik za srednje tešku ili tešku OSA a osobe sa skorom 5 do 8 imaju visok rizik za srednje tešku do tešku OSA.

Iako je STOP BANG u početku napravljen kao alat u anesteziologiji za brzo prepoznavanje osoba koje bi mogle imati OSA, STOP BANG je pored toga validiran i u opštoj populaciji, kao i u populaciji koja se javlja u somnološke ambulante i predstavlja jeftin, jedno-

stavan, praktičan i senzitivan alat za brzo prepoznavanje osoba koje imaju povišen rizik da boluju od opstruktivne apneje u snu, te bi svi ljekari trebali biti upoznati s njim.

STOP BANG može ispuniti pacijent sam ili uz pomoće medicinskog radnika i na taj način provjeriti svoj rizik od opstruktivne apneje u snu. S obzi-

Pulmo S

Dr Sanja Glišić

066/134-081

Branka Radičevića bb (iza Doma zdravlja)

Teslić

rom da je zlatni standard za postavljanje dijagnoze opstruktivne apneje u snu polisomnografija, koju u određenim slučajevima može zamijeniti poligrafija, potrebno je sve pacijente sa povišenim rizikom uputiti na ove pretrage da se dijagnoza potvrdi i započne odgovarajuće liječenje.

• Spec. pregled djece i odraslih

• Alergotestiranje

• Spirometrija

• Polisomnografija

• Ultrazvuk pluća i abdomena

• Očitavanje rendgenskih snimaka pluća

PULMOLOŠKA AMBULANTA
SPECIJALISTIČKA
ZDRAVSTVO 27

Poznato je da su bolesti retine jasno povezane sa hipertenzijom i dijabetesom melitusom. Savremene metode snimanja i analize retine u modernoj medicini predstavljaju jedinstveno sredstvo za direktnu i neinvazivnu procjenu i praćenje mikrovaskulature retine, koja može da bude prozor u sagledavanju sistemske mikrocirkulacije. Promjene u strukturi i funkciji retinalnih sudova, kao i prisustvo retinopatije, može biti rezultat sistemske inflamacije, endotelne disfunkcije, pa čak i povezanih kardiovaskularnih oboljenja. Brojni dokazi sugerišu da bi snimanje retine moglo biti obećavajuće sredstvo za procjenu strukturnih i funkcionalnih abnormalnosti mikrocirkulacije, povezanih sa remodelovanjem lijeve komore i srčanom insuficijencijom. Kako je fotografisanje očnog dna neinvazivna procedura koju je moguće odraditi jednostavno i brzo gdje se na osnovu fotografije, uz pomoć

Kardiovaskularne bolesti i mikrocirkulacija retine

Označavanje vena i arterija uz pomoć IMEDOS softvera

fokalno ili generalizovano suženje arteriola, arteriovensko pritiskanje i promjenu geometrije krvnih sudova mrežnjače. Specifični znaci dijabetičke ili hipertenzivne retinopatije uključuju mikroaneurizme mrežnjače, hemoragije, mrlje od vate, meke i tvrde eksudate, vensko oblaganje i neovaskularizacije koje predstavljaju znake koji se mogu javiti nezavisno od prethodno navedenih mikrovaskularnih znakova retine. Odnedavno u primjenu je ušla statička i dinamička analiza krvnih sudova retine koja se koristi kao novi moćni metod detektovanja retinalne disufunkcije. U osnovi se radi o kombinaciji fundus kamere ili slike dobijene uz pomoć OCT-a i odgovarajućeg softvera kojim se mjere debljine krvnih sudova retine nakon sa ili bez izlaganja trepćućem svjetlu što dovodi do dilatacije krvnih sudova retine. Sadašnje znanje govori u prilog da postoji veza između sužavanja retinal-

nih arteriola i asimptomatske hipertrofije srčanog mišića. Ovakve promjene se takođe mogu naći i kod pacijenata koji nemaju hipertenziju, dijabetes ili plakove na krvnim sudovima srca i tako ovakvim pregledom može da se rano detektuje supklinička disfunkcija sistemske ili srčane mikrocirkulacije u osoba koje su naoko potpuno zdrave. Klasičan pregled očnog dna (nalaz fundusa) gdje se samo fotografiše fundus i ocjenjuje stanje krvnih sudova ne omogućava da se otkriju ovakve suptilne promjene, zbog čega analiza debljina dijametara krvnih sudova (arterija i vena) retine uz pomoć odgovarajućeg softvera može da pomogne da se pronađu pacijenti sa potencijalno velikim zdravstvenim problemima i prije nego što ih oni budu svjesni. Značaj ove nove tehnologije u unapređenju očuvanja zdravlja i sprečavanja kardiovaskularnih komplikacija će samim tim u budućnosti biti sve veći i veći.

Fotografija očnog dna i procjena stanja mikrocirkulacije retine pomoću odgovarajućeg softvera

odgovarajućeg softvera, može procijeniti stanje mikrocirkulacije retine, omogućava da se na ovaj način sa velikom vjerovatnoćom mogu dijagnostikovati pacijenti koji još imaju asimptomatske promjene na srcu i na krvnim sudovima. Pokazalo se da određeni mikrovaskularni znaci i karakteristike mrežnjače mogu biti povezani sa kardiovaskularnim bolestima i otkazivanjem rada srca. Kalibri retinalnih sudova obezbjeđuju parametre koji su izvedeni iz prečnika arteriola i venula mrežnjače, kao što su centralni retinalni arteriolarni ekvivalenti (CRAE), centralni retinalni venularni ekvivalenti (CRVE) i odnos arteriola-venula. Ostali mikrovaskularni znaci retine uključuju

Dr Milan Preradović, spec. oftalmolog
ZDRAVSTVO 28

Na osnovu svojih mnogobrojnih funkcija koje obavlja, koža spada u najvažnije organe čovječjeg tijela. Detaljnije ćemo pomenuti samo neke njene funkcije.

Funkcije kože su brojne:

- zaštitna funkcija, uloga kože u termoregulaciji, senzitivna uloga kože, sekretorna, deponovanje različitih materija, respiratorna funkcija, učestvovanje u imunološkim procesima, enzimska aktivnost, melanogeneza, keratinizacija...

Zaštitna uloga kože

Zaštitna uloga kože se ogleda u tome da ona štiti tijelo od mehaničkih povreda, od ulaska mikroorganizama u naše tijelo, kao i od uticaja hemijskih faktora sa kojima dolazimo u kontakt.

Upravo, zahvaljujući elastičnim i kolagenim vlaknima, kao i sadržaju vode u potkožnom tkivu, koža pruža otpor uticaju mehaničkih sila na njenu površinu. Na mjestima jače izloženosti kože mehaničkim dejstvima ona je izgrađena od debljeg rožastog sloja, kao dodatnog faktora zaštite od jačih mehaničkih podražaja (dlanovi i tabani). Potkožno masno tkivo ima ulogu amortizera pri dejstvu mehaničkih sila iz okoline.

Zaštitna uloga kože od raznih mikroorganizama se ogleda u tome da se na koži normalno nalaze produkti lojnih i znojnih žlijezda, koji čine emulzioni hidrofilni film koji gradi zaštitnu barijeru.

Kiselost kože ima zaštitnu ulogu, a ona nastaje od slobodnih masnih kiselina, koje se produkuju iz lojnih žlijezda i aminokiselina, nastalih razgradnjom keratina uz dodatak razgradnih produkata znoja. Tako izgrađen površinski sloj ima baktericidno i fungicidno dejstvo na mikroorganizme sa kojima dolazimo u kontakt. Ako se desi da se poremeti pH kože, te poraste pH, tačnije poraste alkalitet, smanjuje se odbrambena sposobnost kože, jer se u alkalnoj sredini lakše razvijaju bakterije, te se javljaju razni oblici bakterijskih infekcija.

Fiziološke funkcije kože

Koža takođe ima sposobnost da svojim hemijskim mehanizmima neutrališe uticaj baza i kiselina, tzv. puferska sposobnost. Ona ima blagu kiselu reakciju, čiji se pH kreće 4,5-5,5. Hemijska reakcija površine kože zavisna je od konstitucije organizma, a pored toga postoje i dnevne, fiziološke i sezonske varijacije.

Rožnati sloj svojom građom štiti kožu od uticaja hemijskih materija, jer sprečava svojom strukturom njihovu apsorpciju.

Zaštitna funkcija kože od prekomjerne ekspozicije sunčevoj svjetlosti se odvija na nekoliko načina.

Kao prvo, koža je postavljena u obliku jedne ravne plohe, pa samim tim reflektuje dio sunčanih zraka. Pod uticajem svjetla dolazi do zadebljanja rožastog sloja, a takođe se javlja pojačana sinteza melanina. Tokom sinteze melanina premelanosom u Golgijevom kompleksu melanocita sadrži pigment melanin, nastao oksidacijom tirozina pod djelovanjem enzima tirozinaze, preko DOPE, koja zatim u melanosomima prelazi u melanin. Zrela melaninska zrnca transportuju se iz nastavaka melanocita u okolne keratinocite.

Koža crnaca nema brojčano više melanocita, ali su oni aktivniji u sintezi melanina.

Na sintezu melanina utiče sunčani spektar talasne dužine između 320-400 nm, koji pripada ultravioletnom području, tzv. UVA zone

zraka. Važno je znati da su najštetnije zrake kraće talasne dužine od 280 do 320 nm. To su tzv. zrake UVB zone koje oštećuju epidermis i kutis.

Promjena koja nastaje pod uticajem ovih zraka je eritem, uzrokovan uticajem medijatora inflamacije (serotonina, prostaglandina i slobodnih radikala) iz oštećenih ćelija nakon kontakta sa suncem, pogotovo ako koža nije pripremljena za sunčanje. Mreža kapilara u dubljim slojevima kože takođe štiti od štetnog dejstva UV zraka.

Koža, s obzirom na preosjetljivost sunčevih zraka, može se podijeliti u šest grupa. Tip I susreće se kod osoba izrazito svijetle puti, plave ili crvene boje kose, oni su izrazito osjetljivi na dejstvo UV svjetlosti i koža im nikada ne potamni. Tip VI se sreće kod crnaca, koji nisu osjetljivi na dejstvo UV zraka. Između ova dva ekstremna tipa nalaze se četiri gradacije prelaza.

Takođe, intaktna koža sprečava gubitak vode iz organizma, što je omogućeno činjenicom da se na površini kože nalazi za vodu nepropusni sloj keratina, keratinociti i ekstracelularni lipidi, koji onemogućavaju prolazak vode iz organizma u okolinu.

Transepidermalna resorpcija vode predstavlja proces kretanja vode sa površine u njene dublje slojeve. Ovaj proces je u direktnoj vezi sa fiziologijom kože, jer je resorpcija daleko veća ukoliko je koža oštećena mehaničkim ili hemijskim agensima.

Prof. dr Bogdan Zrnić, spec. dermatovenerolog
ZDRAVSTVO 30

Termoregulatorna uloga kože

U termoregulaciji koža ima veliku ulogu, jer se preko nje odvodi velika količina toplote stvorene u organizmu. Taj proces se odvija preko vazodilatacije, kao i pojačanim radom znojnih žlijezda, odnosno evaporacijom ili isparavanjem znoja sa površine tijela. Količina vode izgubljena ovim putem zavisi od vlažnosti vazduha, spoljašnje temperature, radne aktivnosti pojedinca, kao i strujanja vazduha.

Za razliku od uticaja visokih temperatura na kožu, kod niskih ili pothlađivanja, dolazi do konstrikcije krvnih sudova u koži, kontrakcije mišića podizača dlaka, pa se koža “naježi”, čime je odavanje toplote smanjeno na minimum.

Ovaj proces na koži se odvija ovim tokom: stimulacijom receptora u koži (toplo-hladno) podražaj ide do hipota-

lamusa, a nakon toga refleks se prosljeđuje na efektore u koži, a to su krvni sudovi (vazodilatacija, vazokonstrikcija), kao i u ekrine znojne žlijezde i muskulaturu mišića podizača dlaka.

Senzitivna uloga kože Senzitivna funkcija kože se odvija zahvaljujući bogatoj senzitivnoj inervaciji, koja se sastoji od senzitivnih nervnih završetaka. Senzitivni nervi stvaraju u dubljim slojevima mrežaste formacije iz kojih se nervna vlakna granaju prema površnom sloju kože, a završavaju se kao slobodni nervni završeci, uglavnom u epidermisu ili kao terminalna nervna tjelešca:

Meissnerova tjelešca u korijumu i Merkelove pločice u okolini folikula dlake gdje registruju dodir, – Vater-Pacinijeva tjelešca u koriju-

mu koja registruju pritisak, – Krauseovi batići su duboko u korijumu i registruju hladnoću, – Ruffinijeva tjelešca se nalaze u korijumu i receptori su za toplotu. Osjećaj boli registruju slobodni nervni završeci nemijeliniziranih vlakana, raspoređeni subepidermalno i intraepidermalno.

Imunološka funkcija kože Imuni sistem kože sastoji se od limfocita i antigen prezentujućih ćelija (APCs). Koža kao najveći organ u tijelu predstavlja značajnu fizičku barijeru za prodor stranih patogena. Ona ima sposobnost da generiše i podrži lokalni imuni odgovor i inflamatorne reakcije.

Keratinociti produkuju nekoliko citokina od značaja za regulaciju imunskog odgovora i inflamaciju. Epidermalne Langerhansove ćelije u suprabazalnom epidermisu predstavljaju nezrele dendritske ćelije kože, efikasne u fagocitiranju antigena.

Nakon stimulacije proinflamatornim citokinima, ove ćelije gube nastavke i migriraju u dermis i limfni čvor. Intraepitelijalne T ćelije (u najvećoj mjeri CD8) čine dva odsto limfocita u koži, dok ih je većina u dermisu. Dermis sadrži CD4 i CD8 T limfocite, prvenstveno perivaskularne lokalizacije i makrofage. Mnogi T limfociti dermisa ekspresimiraju kožni limfocitni antigen 1 koji možda ima ulogu u distribuciji (udomljavanju - homing) limfocita u koži.

ZDRAVSTVO 31

Specijalna bolnica za hronične psihijatrijske bolesti iz Modriče od 2015. godine ostvaruje dobru saradnju sa predstavnicima Fondacije „Initiative für zurückgekehrte“ prijateljskog grada Badsacha iz Njemačke. Naši partneri su izrazili želju da prošire saradnju i sa drugim ustanovama koje se bave zaštitom mentalnog zdravlja u Bosni i Hercegovini. U vezi s tim, upriličili smo posjete koje su bile turističkog karaktera u smislu promocije prirodnih potencijala naše zemlje, ali i radnog u smislu spajanja predstavnika institucija koje se bave zaštitom mentalnog zdravlja stanovništva u Bosni i Hercegovini sa predstavnicima njemačke fondacije.

Projektni tim bolnice iz Modriče predstavljali su dr Zoran Zorić, psihijatar, i Gordana Spasojević, dipl. socijalna radnica. Delegaciju iz Njemačke su činili prof. dr Philip Heiser, dječji i adolescentski psihijatar, šef odjeljenja za dječju psihijatriju u Nordhausenu, dr Sabine Radke, psihijatar, gospodin Marc Schwarz, pratilac pri ozdravljenju i radno-okupacioni terapeut, kao i prevodilac Milanka Scholz. Posjete su bile ranije pismeno najavljene, planirane i prihvaćene od institucija.

Naša prva odrednica je bila posjeta prelijepom gradu Mostaru, odnosno Centru za mentalno zdravlje. Dana 12.6.2023. godine su nas u njihovim prostorijama ugostili dr Marko Martinac, psihijatar, i Tina Lasić, medicinska sestra, te drugi predstavnici njihovog multidisciplinarnog stručnog tima koji uspješno odolijevaju savremenim izazovima u očuvanju mentalnog zdravlja stanovništva ove regije. Nakon razmjene iskustava te kontakata, posjetili smo posebnu organizacijsku cjelinu koja djeluje pri Domu zdravlja Mostar – Centar za govorne poteškoće djece i adolescenata, osnovan 1973. godine. Zahvaljujući kontinuiranom razvoju ova služba je danas zaista reprezentativna, multidisciplinarna i pruža više od 30

Radne posjete Mostaru, Trebinju i Višegradu

Predstavnici fondacije Initiative für zurückgekehrte iz Njemačke sa članovima projektnog tima Specijalne bolnice za hroničnu psihijatriju Modriča proširuju svoju saradnju sa drugim ustanovama koje se bave zaštitom mentalnog zdravlja stanovništva Bosne i Hercegovine

000 usluga godišnje. Njihovi korisnici su djeca od najniže hronološke dobi, s kojom se provodi postupak rane intervencije pa sve do 18. godine, te odrasli pacijenti nakon odstranjenja karcinoma larinksa, cerebrovaskularnog inzulta i traumatskog oštećenja mozga. Prisutan je vrlo prijatan ambijent te human pristup korisnicima koji

smo svi pohvalili i koji prati evropske trendove iz ove oblasti.

Sledeći dan smo, u različitim satnicama, imali upriličene tri radne posjete u gradu Trebinju, koje je zbog svoje klime i prisustva mediteranskog duha posebno atraktivno za posjetioce iz drugih država. U opštoj bolnici u Trebinju su prijem upriličili predstav-

ZDRAVSTVO 32
Pripremila: Gordana Spasojević, dipl. socijalna radnica

nici odjeljenja za psihijatrijske bolesti, psiholog Goran Prodanović te glavna sestra Dušanka Zečević. Radnom sastanku su prisustovali i predstavnici Centra za mentalno zdravlje Doma zdravlja, koji se bave zaštitom mentalnog zdravlja stanovništva na primarnom nivou dr Zoran Radović, psihijatar, Biljana Babić, klinički psiholog, i Nenad Milidrag, medicinski tehničar. Domaćini su imali priliku da iznesu svoje probleme i izazove sa kojima se susreću u radu te nedostatke koji su prisutni u svakodnevnom funkcionisanju. Predstavnici njemačke fondacije su izrazili razumijevanje te su sa domaćinima razmijenili iskustva koja mogu biti od pomoći, kao i kontakte kako bi nastavili dalju saradnju.

Važna karika u ostvarivanju prava iz socijalne i zdravstvene zaštite građana koji imaju socijalne probleme i probleme na planu mentalnog zdravlja, jeste lokalna zajednica, odnosno

Centar za socijalni rad. U gradu Trebinju ispred gradske uprave, članove njemačke delegacije i projektnog tima primili su Miodrag Novokmet, načelnik odjela za gradsku upravu, i Mirjana Vučurević, stručni saradnik za zdravstvenu zaštitu i humanitarne organizacije. Pored njih sastanku u prostorijama Centra za socijalni rad prisustovali su direktor Centra Zoran Anđušić koji je predstavio ustanovu, viziju njenog djelovanja, način komunikacije sa korisnicima, program rada te određene teškoće na koje nailaze u svakodnevnom radu, zatim Vedrana Vuletić, dipl. socijalna radnica, i Rada Gutić, dipl pravnica, koje predstavljaju članove multidisciplinarnog stručnog tima Centra. Izazovi današnjeg vremena sa kojima se susreću stručni radnici zaposleni u centrima su zaista veliki. Ljudski i profesionalni doprinos je na veoma visokom nivou i predstavlja prvu stepenicu u pružanju pomoći i najvažniju podrš-

ku građanima. Zahvaljući zajedničkim naporima predstavnika svih institucija uspijeva se odoljeti izazovima.

Utisak dana je, naravno, pripao osobama sa problemima na planu mentalnog zdravlja koji su članovi Udruženja za pomoć u duševnoj nevolji „Sonata“ u Trebinju, a zbog kojih je zapravo i pokrenuta inicijativa organizovanja zajedničkih susreta sa sve ciljem poboljšanja kvaliteta njihovog života. Zahvaljujući predstavnici Udruženja gospođi Mioljki Janković i dalje se okupljaju i održavaju udruženje iako su ostali bez svojih prostorija. Priredili su nam i prigodan program dobrodošlice. Uživali smo u recitalima iz njihovih zbirki pjesama, kao i u skromnim izložbama slika i radova koje imaju.

Pored Udruženja „Sonata“, njemačkoj delegaciji je gospodin Nikola Đurasović predstavio Fondaciju „Sveti Vukašin“ čiji je osnivač Srpska pravoslavna crkva Eparhije zahumsko-hercegovačke. Evidentan je njihov značajan doprinos u pomaganju potrebitom narodu kroz donatorske kutije, prodaju brendiranih domaćih proizvoda iz Hercegovine te kroz donacije naših ljudi koji žive u dijaspori. Vrlo pozitivan primjer dobre prakse, komunikacije i razmjene saznanja i iskustava koja su upotrebljena za pomoć građanima koji se nalaze u stanjima socijalne potrebe.

Treći dan radne posjete 14.6.2023. godine posjetili smo mali grad na velikoj rijeci Drini - Višegrad, koji je sve nas opčinio svojom mirnoćom, bogatom kulturno- umjetničkom istorijom i ljubaznošću lokalnog stanovništva.

Predstavnici JU Doma za žensku djecu i omladinu ometenu u razvoju bili su, kao i uvijek, otvoreni za saradnju i nova poznanstva. Prijem i obilazak prostorija ustanove upriličili su v.d. direktora Pero Krstić i Tanja Tanović Karabatak, p.r. menadžer. Ustanova ima 184 korisnice na smještaju iz raznih krajeva Bosne i Hercegovine, a odnedavno imaju otvoreno odjeljenje i za prijem maloljetnih korisnica.

Naši gosti su izrazili čuđenje zbog postojanja odvojenih ustanova za muškarce i žene koji su ometeni u razvoju, ali su pohvalili predanost i požrtvovanost osoblja koja je evidentna na svakom koraku Doma u Višegradu.

Nadamo se da će radne posjete koje smo organizovali imati pozitivan odjek te učiniti da se barem malim dijelom popravi kvalitet života osoba koje imaju probleme na planu mentalnog zdravlja.

ZDRAVSTVO 33

Strah je emocija koju svako od nas tokom života doživljava. Strah nije prijatan, ali da ga nema čovjek ne bi preživio. Strah je urođena, genetski programirana, reakcija na prijetnju i opasnost. U svim kulturama se izražava na isti ili sličan način, odnosno izražavanje straha nije naučeno i lako je prepoznati uplašenog čovjeka.

Strah ima svoju funkciju i on, poput bola, priprema tijelo na odbranu od onoga što izaziva strah.

Reakcija straha je: “Bori se ili bježi”

Kada nastaje problem?

Važno je razlikovati objektivan, realan strah od strepnje i subjektivnog “doživljaja opasnosti”.

Za razliku od straha, gdje je prijetnja poznata, razlog straha je jasan i doživljava se u sadašnjosti “ ovdje i sada” Problem nastaje u slučajevima kada je “prijetnja“ nepoznata, unutrašnja i javlja se u vidu stalne strepnje i anksioznosti.

Anksioznost je usmjerena na budućnost. “Šta ako“ se dogodi ovo ili ono, uz konstantnu tjeskobu, katastrofiranje i nepodnošljive scenarije.

Strah i anksioznost

Takvo stanje je dvostruko neprijatno jer osoba ne zna sa čim da ga poveže. Mentalna predstava je potisnuta.

Rizik za nastanak anksioznog poremećaja mogu biti: stresne situacije, neprijatna iskustva u djetinjstvu, gubitak emocionalno značajnih osoba, pritisak na poslu, velike promjene u životu, lična preosjetljivost i sl.

2. Razvijanje sposobnosti boljeg suočavanja sa stresom

3. Rad sa disfunkcionalnim, iracionalnim mislima, osjećanjima i ponašanjem.

4. Vježba suprotstavljanje disfunkcionalnim mislima i zamjena sa pozitivnim mislima

5. Postepeno izlaganje situacijama

6. Relaksacija mišića (progresivna mišićna relaksacija)

Anksioznost se manifestuje kroz razne simptome:

• Iracionalne misli

• intenzivan strah od naizgled bezopasnih objekata, razvijanje raznih vrsta fobija: strah od zatvorenog prostora, strah od otvorenog prostora, lifta, visine, insekata, socijalna fobija sl.)

• opsesivno-kompulzivne radnje, tj. posebni rituali koji umanjuju strah u vjerovanju da radnje imaju zaštitničko dejstvo;

• psihosomatski poremećaji, stomačni problemi, glavobolje, visok pritisak, lupanje srca, vrtoglavice;

• napadi panke – preznojavanje, drhtanje, gušenje, lupanje srca i osjećaj gubitka kontrole;

• poremećeno spavanje,

• nemogućnost koncentracije;

• stalna napetost mišića;

• poremećaji u seksualnosti i dr.

Šta može pomoći

Kada se osoba odluči da potraži pomoć ona saznaje mnogo više o svom mentalnom sklopu.

Problem anksioznosti otkriva mnogo skrivenih tegoba. Potisnute emocije ne umiru, one samo nastavljaju da utiču na čoveka iznutra, sve dok ne postanu nepodnošljive.

Sljedeće metode mogu pomoći:

1. Prepoznavanje situacija koje izazivaju anksioznost

7. Vježbe disanja (veliki broj osoba zbog nepravilnog disanja pogoršava simptome)

8. Vizuelizacija

9. Kartica samopomoći (karticu sa afirmišućim porukama „Sve će biti u redu“ , „Proći će“...

10. Pohvaliti sebe za postignuti uspjeh.

Važno je suočiti se sa svojom tjeskobom i unutrašnjim strahovima, jer tada je puno lakše prepoznati stvarne probleme i rješavati ih. Simptomi bez obzira na to koliko su neprijatani imaju svrhu da riješe neki problem.

I za kraj, ništa nije slučajno, sve ima svoj uzrok i svrhu.

A kada osvijestite unutrašnje tjeskobe, strahove i zastoje sve će biti drugačije i jasnije. Prijetnje ćete doživljavati kao životne izazove i priliku da se razvijate i funkcionišete bolje.

Vida Lazarević, dipl. psiholog
Iz ugla psihologa:
ZDRAVSTVO 34

Predstavnici Ministarstva zdravlja i socijalne zaštite Republike Srpske predstavili su u Beogradu u okviru Projekta Omladinska laboratorija za mlade Zapadnog Balkana finalni dokument “Metodološki okvir za kreiranje i sprovođenje promotivnih i preventivnih aktivnosti u oblasti mentalnog zdravlja, namijenjenih mladima uzrasta od 14 do 18 godina. Završna konferencija Omladinske laboratorije na temu mentalnog zdravlja mladih u okviru Projekta Omladinska laboratorija za mlade Zapadnog Balkana (Western Balkans Youth Lab) kojeg sprovodi Savjet za regionalnu saradnju (Regional Cooperation Council - RCC), a finansira Evropska unija, održana je 20. i 21. juna.

Omladinsku laboratoriju na temu mentalnog zdravlja mladih u Bosni i Hercegovini sprovela je Radna grupa koju su činili predstavnici Ministarstva zdravlja i socijalne zaštite Republike Srpske, Ministarstva zdravstva Federacije Bosne i Hercegovine, Odjeljenja za stručne i administrativne poslove Brčko distrikta, Ministarstva civilnih poslova, Vijeća mladih Federacije Bosne i Hercegovine i PRONI Centra za omladinski razvoj.

Zadatak radne grupe bio je donošenje dokumenta pod nazivom “Metodološki okvir za kreiranje i sprovođenje promotivnih i preventivnih aktivnosti

Istraživanja pokazuju da kućni ljubimci, posebno mačke i psi, mogu smanjiti emocionalni pritisak, tjeskobu i depresiju.

Postoje istraživanja koja pokazuju da su kućni ljubimci važan činilac našeg zdravlja na različite načine. Oni nas motivišu, podstiču nas, nameću nam rutinu, i stvaraju vezu između ljudi i životinja – navodi glavna autorica studije, Kolin Del, rukovodilac istraživanja na klinici “One Health and Vellness” i profesor na kanadskom Univerzitetu u Saskačevanu.

Na primjer, šetnja psa potiče vas na vježbanje, jača vaše kardiovaskularno zdravlje, stimulira mišiće, izvodi vas na sunce po zdravu dozu vitamina D i daje vam priliku za kraću interakciju sa komšijama, prijateljima.. Jedan od najboljih načina za rješavanje negativnih emocija je vježba, a pas je idealan ljubimac koji će vas sigurno natjerati na aktivniji život.

Druženje, povezanost, dodir, pažnja, naklonost i mnoštvo drugih psiholoških

Prevencija u oblasti mentalnog zdravlja za mlade

u oblasti mentalnog zdravlja, namijenjenih mladima uzrasta od 14 do 18 godina (jačanje protektivnih faktora za mentalno zdravlje, redukcija riziko faktora, rana detekcija i intervencija)”. Za kreiranje navedenog dokumenta bile su angažovane ekspertkinje na polju mentalnog zdravlja mladih.

Završnoj konferenciji u Beogradu prisustvovali su predstavnica Ministarstva zdravlja i socijalne zaštite i kopredsjedavajuća Radne grupe za BiH dr Andreja Subotić Popović i dr Biljana Lakić, vođa tima ekspertkinja na polju mentalnog zdravlja.

Druženje s kućnim ljubimcem smanjuje stres

potreba zadovoljavaju se tokom maženja, razgovora i brige o kućnim ljubimcima. Djeca, stariji i osobe s posebnim potrebama pokazuju značajna poboljšanja nakon kontinuirane interakcije s kućnim ljubimcima.

Psi neprestano primjećuju “svoje” ljude, posebno promatranjem neverbalnih znakova. Iako se neka od ovih ponašanja mogu pripisati psu koji traži poslasticu ili pak želji da izađe u šetnju, psi i dalje prilično tačno procjenjuju emocionalno stanje svojih vlasnika.

Oni razumiju mnoge riječi koje koristimo, a posebno ton našeg glasa, držanje tijela i emocionalno stanje. Nije potrebna magija kako bi mogli razumjeti da psi mogu pogledati u oči svog vlasnika i veoma brzo “znati” što misle ili osjećaju.

ZDRAVSTVO 35

European Young Family Doctors’ Movement (EYFDM) je udruženje

koje okuplja mlade ljekare porodične medicine (specijalizante i specijaliste do pet godina nakon položenog specijalističkog ispita) u Evropi i dio je WONCA Europe, evropskog udruženja porodične medicine.

Prvi koraci ovog udruženja su počeli 2004. godine. Doktor Fons Sips je tokom kongresa u Amsterdamu iskoristio svoju veliku inspirativnu snagu da okupi evropske mlade ljekare porodične medicine i inspiriše ih da formiraju svoje udruženje. Malo je ljudi koji djeluju tako inspirativno i u znak poštovanja i sjećanje na doprinos koji je dao, nakon njegove smrti 2016. godine dodjeljuje se Fons Sips Oustanding Achievement Award mladim ljekarima za doprinos razvoju i promociji porodične medicine kako na lokalnom, tako i na regionalnom nivou.

EYFDM zamišlja svijet u kojem je svaki porodični ljekar već u toku trajanja specijalizacije osnažen, podržan, povezan i čiji se glas čuje. Vizija udruženja je da porodična medicina kao grana medicine, zasnovana na dokazima, bude inovativna, uticajna i da pruža visokokvalitetnu holističku zdravstvenu njegu i bude okosnica postizanja zdravlja za sve. Glavni ciljevi udruženja su povezivanje mladih ljekara porodične medicine i jačanje međunarodne saradnje kroz zajedničke projekte, istraživanja i učenje; biti glas mladih porodičnih ljekara i zastupati njihova prava i potrebe; promocija i jačanje discipline porodične medicine na lokalnom i globalnom nivou. Od trenutka svog osnivanja ovo udruženje promoviše globalni način razmišljanja, poštovanje različitosti i integriteta pojedinca, osjetljivost prema drugim kulturama među mladim ljekarima poro-

Udruženje mladih ljekara porodične medicine u Evropi

European Young Family Doctors’ Movement (EYFDM)

dične medicine kroz zajedničke istraživačke projekte i posebne interesne grupe i stručne razmjene. Razmjene su, u stvari, jedna od najvećih i najaktivnijih EYFDM grupa koja nudi različite programe: konferencijske razmjene, Hippokrates Exchange Programme i FM 360 program.

U svijetu globalizacije, olakšane mobilnosti i povezanosti, porodični ljekari pored kliničkih kompetencija treba da steknu i kulturološku osjetljivost i prilagodljivost kako bi pružili visokokvalitetnu zdravstvenu njegu u multikulturalnom okruženju. Međunarodna iskustva imaju uticaj na lični razvoj

(formiranje stavova, usavršavanje stranog jezika, poboljšanje komunikacije, fleksibilnost, socijalizacija, umrežavanje) i na profesionalni razvoj (kliničke vještine, uspostavljanje međunarodne saradnje, veća dostupnost novih informacija). Sve te promjene doprinose poboljšanju kvaliteta i razvoju porodične medicine koja predstavlja temelj svakog zdravstvenog sistema.

Dr Marina Jotić Ivanović, specijalista porodične medicine Javna zdravstvena ustanova Dom zdravlja Doboj Delegat u EYFDM vijeću i koordinator za razmjenu Bosne i Hercegovine

“Budite promjena koju želite vidjeti u svijetu.”
ZDRAVSTVO 36
Mahatma Gandi
ZDRAVSTVO 37

rilikom pakovanja za godišnji odmor, jedino što je sigurno jeste da ćete nešto zaboraviti. Zato su putne isprave, zdravstvena knjižica, putno zdravstveno osiguranje i putna apoteka prvo što stavljate u torbu. Poželjno je da svaka putna apoteka sadrži osnovne lijekove ili proizvode koji mogu pomoći u olakšavanju tegoba koje se najčešće javljaju na putovanju, a to su lijekovi protiv bolova i povišene temperature, probiotici, sredstva za dezinfekciju rana te flasteri i zavoji. Lijekove je potrebno čuvati u propisanim uslovima gdje temperatura ne bi trebalo da prelazi 30 stepeni Celzijusa ili niže ako je tako propisano u uputstvu.

Šta sadrži ljetna putna apoteka? Povišena temperatura je, nažalost, česta pojava na putovanjima, pogotovo kod djece. Zato je neophodno uz sebe imati analgoantipiretike, odnosno lijekove protiv bolova i za sniženje povišene temperature. Ipak, najčešći zdravstveni problemi tokom putovanja jesu putnička dijareja i trovanje hranom. Promjena mjesta boravka, visoke temperature i lošiji higijenski uslovi doprinose zagađenju vode i hrane, što dovodi do stomačnih infekcija, praćenih dijarejom. „Hemofarmov“ PROBIOTIC je već 20 godina pouzdan i provjeren član kućne i putne apoteke jer doprinosi očuvanju zdravlja i funkcije probavnog sistema. Kako bi ojačali crijevnu barijeru i spriječili pojavu putne dijareje poželjno je početi sa uzimanjem PROBIOTIC-a tri do pet dana prije i nastaviti tokom samog putovanja. Dovoljna je samo jedna kapsula na dan. Kvarenje hrane, poput voća, povrća, mesa i mliječnih proizvoda na ljetnim temperaturama je neizbježno, pogotovo ako se ne čuva adekvatno (držanje hrane u automobilu, na plaži, u torbi i slično). U slučaju konzumiranja pokvarene hrane, prva pomoć je Filtrum (enterosorbens) koji brzo, poput spužve, apsorbuje sve toksine, pomaže njihovo izbacivanje te sprečava dijareju i njihove druge štetne efekte na organizam.

Tokom putovanja mnogi imaju i tegobe sa grčevima u mišićima. Uzrok može biti nedostatak magnezijuma koji se ljeti više gubi iz organizma zbog povećanog znojenja. Kako bi nadoknadili magnezijum dovoljna je jedna kesica Magnetransa na dan. Kesice su pogodne za putovanje jer se

Ljetna putna apoteka

jednostavno koriste. Granule se brzo tope u ustima, uzimaju se bez vode, prijatnog su i osvježavajućeg ukusa.

Zaštita od sunca: Potreba za kvalitetnom zaštitom od sunca zajednička je svima, uvijek i svuda. Iako je sunčeva svjetlost esencijalna za život, ona u isto vrijeme predstavlja i opasnost, jer se sastoji od ultravioletnih (UV-A/UV-B), infracrvenih (IR-A) i vidljivih svjetlosnih zraka za koje se zna da direktno oštećuju kožu u vrijeme kad je indeks sunčevog zračenja veoma visok. Najefikasnije mjere zaštite od sunca jesu: izbjegavanje boravka na otvorenom u periodu od 10 do 16 časova, nošenje zaštitne odjeće, naočala i nanošenje preparata za zaštitu kože od sunca u dovoljnoj količini. Dobar preparat za zaštitu od sunca treba da pouzdano štiti od štetnog sunčevog zračenja, da je prilagođen tipu kože, uzrastu, kao i da je dermatološki testiran i vodootporan. Takva je medicinska kozmetika Ladival koja se posebno preporučuje za zaštitu i njegu dječje kože, kao i osobama sa osjetljivom i kožom sklonom alergijama. Ladival pruža trostruku zaštitu, ne samo od UVA i UVB zraka, nego i od infracrvenih A zraka za koje je dokazano da uzrokuju gubi-

tak elastina i kolagena, a samim tim i prerano starenje kože. Osim sastojaka koji pružaju zaštitu, Ladival u svom sastavu sadrži i sastojke za hidrataciju i njegu kože.

Higijena: Pored opšte higijene, intimna higijena u vremenu visokih temperatura je izuzetno važna a, nažalost, često zanemarena na putovanju. Žene su ljeti sklonije urinarnim i vaginalnim infekcijama, a vrućina, znojenje i mokar kupaći kostim su preduslov za njihov razvoj. Zbog toga se i na putovanju preporučuje upotreba preparata za intimnu higijenu poput Belieme, koja sprečava pojavu neželjenih infekcija.

Osobe koje imaju problem sa alergijama ili imaju druge zdravstvene tegobe obavezno treba da ponesu sa sobom lijekove koje svakodnevno koriste. Dobro je da ponesu i nalaz ljekara, kao dokaz o propisanoj terapiji. „Hemofarmove“ preparate koji čine putnu apoteku možete pronaći na www.svakodobro.ba

P
Savjeti iz „Hemofarma“
FARMACIJA 38

Trendovi dolaze i prolaze, ali jedan ne posustaje. Preplanula koža je aktuelna svakog leta uprkos upozorenjima stručnjaka na opasnosti od preteranog izlaganja suncu. Naglasili bismo - preteranog. Trebalo bi da napravimo razliku između blago preplanule kože i reš pečene. Blagu preplanulost ćete postići i ako poštujete sva pravila o zaštiti. To, između ostalog, znači da vodite računa kada i u kolikoj meri se sunčate. Kada se govori o zaštiti kože od sunca, obično se misli na kreme i losione sa zaštitnim faktorom. Ipak, ne bi trebalo da zanemarimo i značaj ishrane u prevenciji kože od štetnog UV zračenja. Konzumiranjem namirnica koje sadrže antioksidanse možemo zaštititi kožu i smanjiti rizik od nastanka oštećenja. Nega kože podrazumeva kako spoljašnju, tako i unutrašnju zaštitu. Ovo potvrđuju i mnoga naučna istraživanja.

Ako planirate da se malo osunčate i nabacite boju, dobro bi bilo da povećate unos određenih namirnica: voća, povrća i zdravih masti. Zvuči suviše uopšteno, pa ćemo izdvojiti neke namirnice kojima se možete namazati iznutra. Nešto što bi se moglo nazvati zaštitnim faktorom iz tanjira.

Prirodna zaštita kože od sunca i UV zraka

Što je obrok šareniji, on je zdraviji. Kada kupujete crveno povrće (paradajz, rotkvice), zeleno povrće (salatu, kelj i peršun), ljubičasto (kupus), žuto (paprike) i narandžasto (bundeva i tikva), obavezno vodite računa da budu što tamnijih boja.

Nepisano pravilo glasi: Što je boja povrća tamnija, hranjivije je i sa-

Zdravo sunčanje –hrana za bakarni ten

drži više antioksidansa, koji štite od slobodnih radikala, kako kaže dr Harold Lancer, dermatolog s Beverli Hilsa. On tvrdi da je najbolja prirodna zaštita kože od sunca i štetnog UV zračenja, upravo zdrava ishrana.

Uživajte u sirovom povrću tako što ćete napraviti lak, niskokaloričan dresing za salate – sveže isceđen sok limuna ili limete s uljem od semenki grožđa. Ovo ulje je bogato resveratrolom, antioksidansom koji pozitivno deluje na kožu.

Nezaobilazna šargarepa

Ova zečja namirnica višestruko je korisna za zdravlje, pored toga što sprečava štetu od sunčanja. U nedavnoj korejskoj studiji, 30 zdravih žena tri meseca svakodnevno su uzimale 30 mg beta-karotena (što je oko šest šargarepa). Nakon tog perioda ispostavilo se da su njihove ćelije bile zaštićene i manje izložene foto-starenju.

Jedite lubenice tokom sezone

Zaštita kože od sunca i štetnih ultraljubičastih zraka je nezamisliva bez ove letnje namirnice. Ako jedete crveno voće i povrće, sprečićete crvenilo. Likopen, ista dobra stvar koja se nalazi u paradajzu, može sprečiti da pocrvenite kao rak. Uživajte u veoma

laganoj, letnjoj salati koja će vas zaštititi od sunca.

Napravite je na sledeći način: Pomešajte lubenicu isečenu na kockice, tofu ili neki drugi zdravi biljni sir, takođe isečen na kockice, dodajte nekoliko svežih listića nane i malo ekstradevičanskog maslinovog ulja. Po želji, možete dodati malo soli i bibera.

Kako se zaštititi od sunca pomoću paradajza

Likopen je veoma važan antioksidans koji bi trebalo da unosite redovno, naročito tokom leta. Jedan od njegovih najboljih izvora jeste paradajz, koji što je crveniji – više ga u sebi sadrži. Uz to, taj dragoceni sastojak lakše se apsorbuje kada je paradajz skuvan, pa dan pre odlaska na plažu jedite sos od paradajza, supu i pire.

Istraživanje predstavljeno u Kraljevskom društvu medicine u Londonu pokazalo je kako unošenje paradajzpirea znatno povećava sposobnost kože da se zaštiti od štetnih UV zraka i smanjuje crvenilo od sunčanja.

Semenke suncokreta protiv UV zraka

U suncokretu se nalazi moćan antioksidans – vitamin E, koji štiti kožu od starenja i ultraljubičastog zračenja. Oko 30 g očišćenih semenki sadrži dve trećine preporučene dnevne doze ovog vitamina. Dodajte ih salatama, ovsenoj kaši…

Priprema: Jelena Pušac Broćilović
PRIRODA I ZDRAVLJE 39

Zaštita kože od štetnog UV zračenja započinje u vašoj kuhinji, stoga ne zaboravite namirnice bogate ovim vitaminom. Drugi dobri izvori jesu orašasti plodovi, lisnato povrće, avokado i cele žitarice.

Namirnice bogate antioskidansima su veoma bitne za zaštitu kože od sunca, ali ne treba zanemariti ni zdrave masti. Orasi i lan odlični su izvori omega-3 masnih kiselina, koje takođe štite kožu i usporavaju njeno starenje.

Začinite vaša jela sa kurkumom

Kurkumin se vekovima koristi u prirodnoj i tradicionalnoj medicini zbog svog pozitivnog dejstva na širok spekar bolesti i stanja. Pokazalo se kako ima moćna antioksidativna i antiupalna dejstva. Najnovije laboratorijske studije pokazuju da može pomoći u zaštiti ćelija epiderma od oštećenja koja uzrokuju ultraljubičasti B-zraci (UB zračenje).

Ova neverovatna korenasta biljka iz familije đumbira ključan je sastojak indijskog karija, ali je njena upotreba znatno šira. Može se koristiti kao dodatak pirinču, povrću, jelima od testenine ili sokovima voća i povrća.

Jedite slatki krompir

Slobodni radikali su jedinjenja koja važe za najveće neprijatelje zdravlja. Oni ne oštećuju samo ćelije kože

već i ceo organizam. Jedan od najboljih načina da pomognete telu da se odbrani od slobodnih radikala jeste unošenje različitih namirnica bogatih antioksidansima.

Antioksidans je svaka hemikalija koja neutrališe slobodne radikale, pretvarajući ih iz nestabilnih čestica koje oštećuju zdrave ćelije u bezopasne stabilne čestice. Jedan od glavnih antioksidansa jeste beta-karoten, a budući da ga slatki krompir sadrži u većem procentu, ovu namirnicu obavezno uključite u ishranu, naročito u letnjem periodu.

Ne zaboravite kivi

Bogato vitaminima, ovo voće veoma efikasno sprečava razvoj ćelija kancera. Vitamin C je odličan protiv slobodnih radikala koje telo proizvodi kao odgovor na oštećenja ćelija usled sunčanja. Samo 30 g kivija sadrži više C vitamina nego bilo koje drugo voće. Povezano: Kako napraviti sok od kvija.

Nemojte zaboraviti vodu

Pod uticajem sunčevih zraka koža može da dehidrira, a samim tim postaje osetljivija i sklonija oštećenju. Dakle, pijte najmanje dva litra vode svakog dana.

PRIRODA I ZDRAVLJE 40

Stara definicija zdravlja, po kojoj: “Zdravlje nije samo odsustvo bolesti nego i prisustvo socijalnog, mentalnog i svakog drugog blagostanja!”, već sama po sebi nagoveštava uzroke anksioznosti.

Anksioznost je problem sa kojim se suočavaju milioni ljudi širom sveta, pogotovo u ovo vreme, kada je pojedinac izložen pritiscima svake vrste, jer je takmičarska atmosfera prisutna još od najmlađeg doba i očekivanja uveliko nadrastaju mogućnosti. Stara je izreka: Ne želeći ništa, imamo sve!, a svakako bi pogled sa druge strane bio: Želeći sve, nemamo ništa! Svi ćemo se složiti da u ovom vremenu svi žele sve, pa im se i mora činiti da nikada nemaju dovoljno.

terapija kao pomoć kod anksioznosti

često ih nije jednostavno otkloniti, bilo da su socijalne, bilo čisto medicinske prirode. Međutim, najveći problem leži u samoj medicinskoj terapiji, jer lekovi koji se prepisuju za anksioznost obično imaju brojne kontraindikacije i često pacijenta dovedu u začarani krug iz koga se teško izlazi. Zato se brojni lekari danas odlučuju da u slučajevima sa blažim simptomima preporuče biljnu terapiju, koja je neuporedivo blaža i telu prihvatljivija alternativa.

Svako ko se i u najmanjoj meri suočio sa problemom poremećaja raspoloženja zna o kakvom se problemu radi i sigurno bi ga svrstao među najteže zdravstvene probleme. Zato i postoji ona narodna: “Ništa ne boli, k’o kad duša boli”. To sigurno i jeste razlog zbog čega je narodna medicina uvek poklanjala možda i najveću pažnju lečenju baš tih bolesti. Neke od biljaka svoje ime i duguju baš svojoj delotvornosti kod lečenja bolesti takve vrste, kao što je, na primer, veremska trava, trava od verema (veremiti – venuti od tuge).

Biljke za umirenje su oružje koje su ljudi od davnina koristili u slučajevima poremećaja raspoloženja, bilo da je u pitanju nesanica, depresija, napadi panike, histerija, ali i aritmija, tahikardija… Izuzetno je važno to što se, ako ih je pripremio iskusan stručnjak, biljne mešavine za tretiranje pomenutih problema mogu bez ikakave bojazni koristiti dugo vremena.

Mi smo u svojoj praksi imali priliku da se uverimo u moć lekovitog bi-

lja kod brojnih pacijenata te vrste, bilo da je u pitanju bila obična nervoza, trema ili nesanica, bilo da se radilo o težim oblicima poremećaja raspoloženja, ili o aritmiji, a interesantno je da se biljna mešavina koja opušta i nerve i mišiće u nekim slučajevima pokazala kao efikasna i kod nesanice i aritmije, ali i kod problema iritabilnog kolona. Neke od biljaka koje se koriste kod poremećaja raspoloženja su: matičnjak, kantarion, odoljen, lavanda, verbena, imela...

Kada se govori o uzrocima aksioznosti, kao što smo već rekli, socijalni faktor je svakako očigledan i, po mnogima, dominantan. Međutim, ni brojne bolesti svakako nisu zanemariv uzrok: Neke zbog svoje težine i prognoza, što samo po sebi izaziva razuman strah i brigu, a neke čiji je jedan od simptoma baš sama anksioznost.

Naravno, sam tretman zavisi od uzroka i prirodno je očekivati da će ako otklonimo uzroke i sam problem nestati, ali uzroci nisu savim jasni i

Goran Poletan, fitoterapeut
www.ozdravite.com, gp@ozdravite.com Telefoni: Srbija +381 65 43 819 43, BiH +387 66 355 310
Imela Lavanda Verbena Odoljen
Fitoterapija Biljna
PRIRODA I ZDRAVLJE 41
Matičnjak

Ugodini Nikole Tesle koja će verovatno biti proglašena za deceniju posvećenosti nauci i okupljanju uspešnih Srba širom sveta već u prvoj polovini godine osetan je dolazak naših uspešnih naučnika i investitora. Za srpskog naučnika Vladimira Cmiljanovića srpska javnost je čula tokom borbe sa korona virusom, tada je čuveni naučnik, hemičar, koji živi i radi u Švajcarskoj, pripremao „raketnu vakcinu“ i ponudio se da pomogne svom srpskom narodu, odnosno Srbiji. U međuvremenu njegova kompanija “Swiss Rockets” čiji je Vladimir izvršni director, na njegov predlog odlučila da deo svoje tehnologije preseli u Srbiju kako bi je zajedno sa srpskim naučnicima dalje razvijali. Na osnovu toga nedavno je naš naučnik potpisao Memorandum o razumevanju sa Ministarstvom nauke, tehnološkog razvoja i inovacija, čime su otvorene nove mogućnosti za razvoj onkologije i medicine u Srbiji.

Srbija će dobiti inovacioni centar za nuklearnu medicinu

Naučnik svetskog ugleda Vladimir Cmiljanović, iz Švajcarske, vraća u Srbiju patente i razvija terapiju protiv kancera

Tom prilikom je Vladimir Cmiljanović posebno naglasio koliko je važno da dostignuta naučna otkrića razvijamo u Srbiji i mnogo je značajno što zdravstvo Srbije i Ministarstvo nauke razvijaju tzv. teranostik inovejšn centre.

Doktor Cmiljanović sa radošću ističe da je ovo dobra vest za naše građane, jer su naši ljudi koji žive i rade u Švajcarskooj i osnivači ove inovativne kompanije, odnosno mreže kompanija

Swiss Rockets Holding, sa velikim brojem inovacija u svom portfoliju odlučili da naprave ovaj korak, da prenesu svoje znanje i tehnologiju u Srbiju.

Ova kompanija će u okviru BIO4 kampusa izgraditi novi inovacioni centar za nuklearnu medicinu, ističe Cmiljanović, dodajući da je Memorandum veoma bitan za Srbiju, prvenstveno za pacijente obolele od kancera, zato što smo

U Ministarstvu nauke Vlade Srbije ministarka Jelena Begović potpisala je memorandum SERVIS ROCKETS AG sa Vladimirom Cmiljanovićem, čime se stvaraju nove mogućnosti za razvoj onkologije i nuklearne medicine.

ZDRAVSTVO - SRBIJA
U godini Nikole Tesle, povratak uspešnih Srba Pripremili: Marko Radoš i Jelena Milanović
42
Prezentacija BIO4 kampusa

“Raketna” vakcina

Hemičar dr Vladimir Cmiljanović je još 2007. godine, radeći na Univerzitetu u Bazelu, pronašao revolucionarni lek koji se koristi u lečenju kancera. Danas je glavni izvršni direktor kompanije „Svis rokets“ (Swiss Rockets) koja radi na vakcini druge generacije, nazvanoj „raketna“, čija klinička ispitivanja će se obaviti u Srbiji i Švajcarskoj naredne godine.

Istraživački tim kompanije „Svis rokets“ radi na vakcini koja će u stvari biti oslabljeni korona virus, objašnjava dr Vladimir Cmiljanović. To će biti vakcina druge generacije koja za razliku od vakcina prve generacije, kao što je mRNA vakcina ili oksfordska i ruska koje poseduju samo spajk protein kao glavnu komponentu korona virusa, ima sve proteine korona virusa što je jako bitno kako bi nas naš imunski sistem štitio na duže staze.

„Kada se pojavi pandemija nekog virusa, jako je bitno da se što pre pojave vakcine prve generacije zahva-

odlučili da Švajcarska kompanija koja poseduje patente na polju nuklearne medicine projekte prebacimo u Srbiju i da nastavimo da ih razvijamo iz Srbije.

Razvijanje novih farmaceutskih jedinjenja već sada ima jako dobre rezultate na polju onkologije, posebno za oboljenje prostate i neendokrine tumore, naročito kad se ta terapija kombinuje sa novom ciljnom terapijom, to će biti izuzetni rezltati za čitav svet. S tim u vezi, u planu je izgradnja moderne bolnice sa fokusom na nuklearnu medicinu.

ljujući kojima smo usporili virus ali, sa druge strane, virus neprekidno pokušava da preživi, mutira i pokušava da zaobiđe imunski odgovor koji su nam dale vakcine prve generacije“, napominje dr Cmiljanović.

Švajcarska se odlučila da radi intenzivno na ovom programu i podrži ovaj projekat kako bi se što pre obezbedila vakcina koja može da obezbedi širi spektar antitela, tako da ako virus mutira antitela mogu da ga napadnu sa svih strana.

„S druge strane, te takozvane T ćelije koje potpomažu imunski sistem, takozvane T ćelije ubice, mogu da pronađu inficirane ćelije i virus i da ga odstrane. Ta naša vakcina ima zadatak da aktivira T ćelije i, istorijski gledano, vakcine koje daju imunski sistem na deset ili pet godina, sve one aktiviraju upravo taj ćelijski sistem. Vakcine prve generacije to nemaju i naučnici širom sveta rade na projektu nove vakcine i zato je simbolično i nazvana ‘raketna’ vakcina“, naglašava Cmiljanović.

„Ja sam veoma srećan jer sam odrastao u Srbiji, otišao sam sa 19 godina, sada imam 43. Vratio sam se u svoju zemlju i srećan sam što imam podršku naše vlade, posebno naše premijerke Ane Brnabić, naše ministarke nauke Jelene Begović i ministarke zdravlja Danice Grujičić. To su ljudi koji su podržali moje inovacije i ideje. Veoma se radujem što imamo projekat koji počinje sa izgradnjom, a paralelno ćemo raditi na kliničkim studijama kako bismo što pre unapredili te supstance“ – ističe doktor Cmiljano-

vić, navodeći da njegov tim ima više od 100 ljudi, zapravo najviše u Srbiji, Švajcarskoj i Nemačkoj.

Zaposlili smo nekoliko naših mladih lekara, a cilj je da zadržimo velike talente u Srbiji. Naš cilj je da u Srbiji počnemo što pre da radimo klinička ispitivanja na polju blastoma. To ćemo uspeti zato što je naša zemlja u usponu stvaranja nove infrastrukture koju imaju Zapadna Evropa i Amerika.

Podrška Vlade Republike Srbije da se ubrzano pravi BIO4 kampus znatno će omogućiti srpskim naučnicima u inostranstvu i Srbiji povećanu saradnju u oblasti medicine sa čitavim svetom i tako ćemo otkrića i patente srpskih naučnika moći da zaštitimo, tvrdi Vladimir Cmiljanović.

Ističući značaj Memoranduma i dolaskom Swiss Rockets Holding-a u Srbiju, sa velikim brojem inovacija u svom portfoliju da naprave korake u prenosu inovativnog znanja i tehnologije u Srbiju je od ogromne važnosti.

Ova kompanije će u okviru BIO4 kampusa izgraditi inovacioni centar za nuklearnu medicinu čime će pomoći razvoju start up eko-sistema u oblasti biotehnologije u Srbiji i veoma je važno što je započela saradnju sa našim naučnoistraživačkim institutima kao što je Institut INEP, Institut za hemiju, tehnologiju i metalurgiju, (HTM). Svi ovi instituti biće stanari BIO4 kampusa. BIO4 kampus bi trebalo da okupi devet naučnih instituta:

Institut za molekularnu genetiku i genetičko inženjerstvo, Centar za održivo upravljanje bioresursima i prirodne proizvode Instituta za biološka istraživanja „Siniša Stanković“, Institut za medicinska istraživanja, Institut za multidisciplinarna istraživanja, Instraživačko-razvojni institut za veštačku inteligenciju Srbije, Istitut „Biosens“, Insitutu za kariovaskularne bolesti „Dedinje“, Institut za primenu nuklearne energije (INEP) i Insitut za hemiju, tehnologiju i metalurgiju.

Očekuje se da će ovaj Memorandum doneti brojne beneficije, uključujući privlačenje investicija, zapošljavanje visokoobrazovanog kadra, razvoj inovativnih proizvoda i tehnologija, kao i povećanje konkurentnosti Srbije na međunarodnom nivou.

Uspešna saradnja sa švajcarskom kompanijom je konkretan projekat koji će se razvijati i širiti i sa drugim zemljama, zaključila je Jelena Begović, ministarka nauke.

43 ZDRAVSTVO - SRBIJA

Hirurzi Univerzitetskog kliničkog centra „Kragujevac“ primenjuju svetske protokole za lečenje najtežih onkoloških i kardioloških pacijenata, a na video-vezi su svakodnevno sa doktorima iz beogradskog „Dedinja“. Ka ovom Univerzitetskom kliničkom centru gravitira preko dva miliona potencijalnih pacijenata iz centralne Srbije. Brzina prijema, tačna dijagnoza te efikasnost intervencija i lečenja obolelih od primarnog su značaja, posebno u hitnim slučajevima, kada život pacijenta visi o koncu. Zbog toga je ova regionalna ustanova tercijarnog nivoa zdravstvene zaštite. U poslednje dve godine ovaj klinički centar usvojio je i primenjuje niz savremenih svetskih protokola po kojima se leče najteži onkološki i kardiološki pacijenti. Ove protokole podržavaju prvorazredni softverski sistemi, a po prvi put u svojoj istoriji UKC „Kragujevac“ je sačinio i protokol o prihvatanju pacijenata iz drugih gradova, naglašava Slobodan Milisavljević, direktor UKC “Kragujevac“.

Protokolom se reguliše način komunikacije sa bolničkim ustanovama iz drugih gradova koji se oslanjaju na Kragujevac kao regionalni zdravstveni centar. Po svemu sudeći konačno smo rešili problem transfera pacijenata iz ustanova sekundarnog nivoa zaštite u naš Klinički centar. Čudno ili ne, do sada su pacijenti iz drugih gradova dovoženi u Kragujevac bez prethodnih konsultacija, često i bez neophodne dokumentacije, što je upravi i lekarima naše ustanove stvaralo niz problema. Nedavno usvojenim protokolom precizno smo definisali saradnju sa opštim bolnicama i zdravstvenim centrima sve od Kosovske Mitrovice do Kruševca i Mladenovca, kaže Slobodan Milisavljević.

U Centru za nuklearnu medicinu odnedavno se primenjuje nova metoda lečenja pacijenata sa kancerom prostate koja podrazumeva terapijsku upotrebu lutecijuma. Na taj način zbrinut je pacijent koji je lečenje započeo u Nemačkoj, a savremene metode se primenjuju i kod lečenja žena sa karcinomom polnih organa.

Od prošle godine u UKC „Kragujevac“ po svetskim protokolima se leče i pacijenti sa visokim pritiskom, zahvaljujući doktorki Vesni Stojanović iz Beograda, na odeljenju za poremećaje srčanog ritma uvedene su nove metode u saradnji sa lekarima Uni-

U korak sa vodećim kliničkim centrima

Hirurzi Univerzitetskog kliničkog centra Kragujevac primenjuju svetske protokole za lečenje najtežih onkoloških i kardioloških pacijenata.

Oformili smo tim za lečenje plućne hipertenzije, a ove svetske protokole podržavaju moderni računarski programi i digitalni sistemi koje smo uveli pre dve godine, ističe prof. dr Slobodan Milisavljević, direktor centra.

verzitetskog kliničkog centra Srbije, profesorima Nebojšom Mujovićem i Goranom Milašinovićem. Napravljeni su i prvi koraci ka ugradnji „veštačkog srca“, a kragujevački hirurzi sada mogu da koriste i video-vezu sa stručnjacima iz Instituta za kardiovaskularne bolesti „Dedinje“ u Beogradu.

Direktor Milisavljević sa ponosom ističe da su u ovom kliničkom centru oformili tim za lečenje plućne hipertenzije, a primenu najsavremenijih svetskih protokola podržavaju moderni računarski programi i digitalni sistemi koje smo uveli u poslednje dve godine. Od kraja prošle godine primenjujemo sistem „Heliant“ koji

Uspon Kragujevčana Pripremili: Marko Radoš i Jelena Milanović
44 ZDRAVSTVO - SRBIJA
Prof. dr Slobodan Milisavljević, specijalista je grudne hirurgije, redovni profesor Fakulteta medicinskih nauka Univerziteta u Kragujevcu, član evropskog i svetskog Udruženja grudnih hirurga. Prvi je hirurg koji je ugradio veštačku grudnu kost pacijentu i obavio operaciju karcinoma pluća zahvatom iz trbuha.

omogućava povezivanje naše ustanove sa RFZO, „Batut” i Ministarstvom zdravlja Srbije, a od marta ove godine počeo je sa radom i regionalni „Strouk“ centar, prvi takve vrste u istočnoj Evropi. Primenu ovog digitalnog sistema ostvarili smo u saradnji sa Državnim DATA centrom u Kragujev-

cu. U sistem je uključeno još sedam gradova Šumadije i Pomoravlja, a to je model koji funcioniše u Nemačkoj, Francuskoj, Španiji... Sistem ima važnu ulogu kod mehaničke trombektomije, a naše interventne ekipe neurologa i neurodijologa spremne su da reaguju u prvih šest sati i na-

kon moždanog udara, šloga. Takođe, u saradnji sa Institutom „Dedinje“ formirali smo kardiohirurški konzilijum putem video-veze, tako da smo time značajno unapredili lečenje najtežih kardioloških pacijenata, sa ponosom ističe direktor Milisavljević.

Odnedavno se izvode radovi na sanaciji Urgentnog centra, operacionih sala i Klinike za urologiju sredstvima Ministarstva zdravlja. UKC „Kragujevac“ je nabavio nekoliko neophodnih uređaja i aparata, dok je samostalno obezbedio oko 250 novih parking mesta u krugu bolnice. Ovi i drugi problemi trebalo bi da budu rešeni sa gradnjom novih objekata UKC “Kragujevac“, čija bi gradnja, posle gotovo dve decenije odlaganja, trebalo da počne krajem 2024. godine. Sa novih 22000 kvadratnih metara prostora UKC “Kragujevac“ će biti obogaćen sa još 400 novih kreveta za pacijente kojima je neophodna hospitalizacija.

УИнституту за трансфузиологију и хемобиологију Војномедицинске академије отворена je реновирана лабораторија.

Према речима начелника ове организацијске јединице ВМА проф. др Душана Вучетића, модернизован је рад Института и у „срцу трансфузиологије ВМА“ инсталиран апарат последње генерације за аутоматско одређивање крвних група, унакрсних тестова код пацијената и свих имунохематолошких анализа. Уз ефикаснију израду анализа омогућено је и компјутеризовано складиштење података.

На годишњем нивоу у Институту за трансфузиологију и хемобиологију ВМА уради се око 8.000 одређивања крвних група и око 11.500 унакрсних тестова за потребе оперативног програма у ВМА и свакодневни рад Института.

Уз очекивано смањење залиха крви током летњих месеци, позивамо све људе добре воље да донирају крв у Институту за трансфузиологију и хемобиологију ВМА.

Крв се може дати сваког радног дана у времену од 7.30 до 14.00 часова. Прикупљене јединице крви биће искоришћене за лечење војних и цивилних осигураника у ВМА.

из ВМА
Вести
18. 7. 2023.
Реновирана лабораторија трансфузије ВМА
45 ZDRAVSTVO - SRBIJA

инистар здравља Републике Намибије др Калумби Шангула обишао је Војномедицинску академију у оквиру званичне посете Републици Србији.

У пратњи делегације Намибије била је државни секретар Министарства здравља Републике Србије проф. др Весна Туркулов.

Начелник Управе за војно здравство бригадни генерал др сц. вет. мед. Радивоје Анђелковић и начелник ВМА пуковник проф. др Мирослав Вукосављевић представили су организацију војног санитета и капацитете војноздравствених установа од гарнизоног до терцијарног нивоа. Теме разговора обухватиле су могућности сарадње две земље у области војне медицине, а посебно интересовање је владало за научноистраживачки рад и модалитете едукације и усавршавања војних медицинара.

Након састанка, гостима је организован и обилазак организацијских целина ВМА.

ачелник Управе за војно здравство бригадни генерал др сц. вет. мед. Радивоје Анђелковић састао се данас у ВМА са начелником санитетске службе Оружаних снага Краљевине Норвешке бригадним генералом Питером Ивенсеном.

С обзиром на разлог посетесастанак управљачког одбора Србија - Норвешка у области војномедицинске сарадње, састанку су присуствовали припадници ВМА и Центра војномедицинских установа Београд са искуством из мировних мисија, међународних едукација и рада Балканских војномедицинских снага.

Теме разговора обухватиле су евалуацију досадашње сарадње, постигнуте договоре, као и разматрање даљих смерница у раду. Закључено је да се даља билатерална сарадња у области војне медицине базира на реализацијама курсева и на усавршавању медицинског особља у различитим областима са посебним акцентом на општој хирургији, ортопедији и трауматологији, ветеринарској заштити, анестезији и стоматологији.

Војномедицинска сарадња

Министар здравља Републике

Намибије посетио ВМА

Србије и Норвешке успешно се реализује већ дуже време, а огледа се највише кроз учешће у мултинационалним операцијама и вежбама са посебним освртом на Балканске војномедицинске снаге и ангажовање лаке пољске болнице коју је Краљевина Норвешка донирала санитетској служби

наше земље 2007. године. Лака пољска болница употребљава се за обуку и усавршавање припадника војног санитета, за реализацију војномедицинских вежби, а активира се и за пружање помоћи становништву у ванредним ситуацијама на терену захваћеном масовним катастрофама.

Вести из ВМА
М
7. 2023.
14.
Н
21. 6. 2023.
Наставак сарадње са Краљевином Норвешком
46 ZDRAVSTVO - SRBIJA

Akustični neurinom predstavlja 6% svih intrakranijalnih tumora.To je najčešći tumor povezan sa bazom lobanje iza unutrašnjeg uha i čini 90% tumora te lokalizacije. Obično su benigni iako manje od 1% može postati maligno i agresivno rasti, čak i šireći se na druge delove tela. Ovi tumori rastu iz nerva za sluh i ravnotežu koji povezuje unutrašnje uho na bazi lobanje sa mozgom.

Procenjuje se da se na Balkanskom poluostrvu svake godine dijagnostikuje od 500 do 750 novih slučajeva akustičnog neurinoma. Iako se još smatraju relativno neuobičajenim tumorima, epidemiološke studije procenjuju da ima ukupno 11.000 takvih tumora kod ljudi koji žive u ovom geografskom regionu. Obično se dijagnostikuju u dobi od oko 40 godina, međutim, može se naći čak i kod dece. Jedan od 20 ovih tumora je povezan sa genetskom bolešću gde tumori počinju u detinjstvu, mogu se pojaviti na obe strane i biti povezani sa drugim tumorima mozga i kičme. Najčešći simptomi povezani sa ovim tumorima su gubitak sluha na jednom uhu, zujanje u uhu, problemi sa ravnotežom i vrtoglavica. Kod otprilike jednog od 10 pacijenata promena sluha se dešava brzo. Kako rastu, mogu komprimirati druge nerve i uzrokovati utrnulost na ovoj strani lica, pa čak i slabost ruku i nogu ako su veći. Iako su ovi tumori obično benigni, vremenom mogu dovesti do ozbiljnih zdravstvenih problema ako se ne leče. Ako narastu dovoljno, mogu da komprimuju vezu između mozga i kičmene moždine, uzrokujući oticanje tečnosti unutar mozga i kičme, što može dovesti do gubitka funkcije mozga, pa čak i smrti. Zbog napretka u tehnologiji medicinskog snimanja, ova ozbiljnija simptomatska prezentacija postaje neuobičajena. Međutim, kada se uobičajeni rani simptomi ignorišu tokom dužeg vremenskog perioda, još vidimo pacijente koji se javljaju u odeljenje hitne pomoći sa ovim ozbiljnijim i opasnijim problemima i tumorima džinovske veličine. Iz ovih razloga važno je da pacijente koji imaju bilo koji od ovih simptoma, čak i blago, proceni stručnjak za probleme sa sluhom i ravnotežom i da im se uradi odgovarajuća slika. Obično je ovo specijalizovani MRI.

Pravilna dijagnoza i lečenje ovih tumora zahteva i iskusan tim neurohirurga sa velikim iskustvom u radu

Mikrohirurško lečenje akustičnog neurinoma

na bazi lobanje, lekara specijalizovanih za dijagnostiku i lečenje slušnog i ravnotežnog sistema. i neurolozi koji su specijalizovani za korišćenje savremenog kompjuterizovanog električnog praćenja nerava i mišića lica, usta,

grla i kičme, jer se tumori nalaze uz deo mozga koji kontroliše ove važne funkcije. Tim za sveobuhvatan tretman takođe treba da uključi stručnjake za radiobiologiju, sve dostupne metode lečenja, kao i stručne radiologe mozga i fizioterapeute kako bi rehabilitovali simptome i vratili pacijenta normalnom kvalitetu života nakon lečenja. Prvo uspešno hirurško uklanjanje akustičnog neurinoma obavljeno je 1890. godine. Razvoj savremenih operativnih mikroskopa je u velikoj meri poboljšao bezbednost operacije akustičnog neurinoma sredinom 20. veka. Oko 1990. ili 100 godina kasnije profesor dr. Hugo Fisch u Cirihu, Švajcarska, definisao je disciplinu neurotologije i hirurgije baze lobanje kao posebnu priznatu specijalizaciju kombinovanjem hirurgije uha, glave i vrata i neurološke hirurgije u okviru jedne obuke i prakse. Ove novije tehnike koje uključuju operacije neposredno iza uha nazivaju se trans temporalne ili trans labirintne operacije jer prolaze kroz ili oko unutrašnjeg uha i temporalne kosti koja se nalazi na strani lobanje izbegavajući veliku kraniotomiju ili otvor na lobanji.

Ove procedure minimizuju manipulaciju ili kompresiju samog mozga i omogućavaju hirurgu da brzo identifikuje najvažnije nerve dok prolaze kroz ovu oblast ušne kosti, dovodeći na taj način hirurge direktno na vrh tumora kroz delikatnu anatomiju baze lobanje. Od kada su razvijeni, dramatično su poboljšali bezbednost i stopu uspeha za hirurško uklanjanje akustičnog neurinoma i drugih tumora u ovoj složenoj oblasti tela. Zbog mnogo manjeg kontakta sa moždanim tkivom, pacijenti se brzo oporavljaju i provode minimalno vreme u bolnici od samo nekoliko dana u poređenju sa tradicionalnom (treba pronaći reč koja indirektno implicira

48 ZDRAVSTVO - SRBIJA
Prof. dr Nenad Živković

„stariji“, siguran sam da je lakše na srpskom) velikom operacijum kraniotomije. Ove novije tehnike takođe minimiziraju pojavu postoperativne glavobolje povezane sa operacijama kraniotomije i pokazalo se da imaju 10 puta manje šanse za ponovni rast tumora. Nove tehnike su takođe povezane sa veoma niskim stopama komplikacija.

Prof. dr Endrju Fišman je bio prvi hirurg koji je diplomirao na novoimenovanoj specijalnosti neurotologije i hirurgije baze lobanje na Univerzitetu u Njujorku 1998. godine. Danas je prof. dr Endrju Fišman instruktor na međunarodnim kursevima, sponzorisanim od Fiš fondacije i Univerziteta iz Ciriha. Prof. Fishman je izvršio preko 550 operacija akustičnog neurinoma, autor je brojnih poglavlja u udžbenicima i objavio je mnoge članke u međunarodnim časopisima na ovu temu. Ove publikacije, kao i primeri slučajeva pacijenata prikazani su na vvv.andrevfishmanmd.com.

Prof. dr Nenad Živković prošao je specijalizovanu obuku iz neurohirurgije baze lobanje u Salcburgu u Austriji i Nemačkoj i ima veliko iskustvo sa svim vrstama tumora u ovoj oblasti. Ima izdatu knjigu o tumorima mozga u Nemačkoj.

Tim je takođe obučen i sertifikovan za upotrebu zračenja gama noža. Međutim, naša filozofija je da zračenje treba koristiti prvenstveno za karcinom i izbegavati, ako je moguće, u lečenju

akustičnog neurinoma. Iako ovaj oblik terapije zračenjem ima ulogu kod pacijenata koji su stariji ili ne mogu da se podvrgnu operaciji, protokoli zračenja koji se koriste značajno su izmenjeni tokom poslednjih decenija. Zbog visoke stope komplikacija i oštećenja okolnog moždanog tkiva, facijalnog nerva i unutrašnjeg uha, doza koja se danas daje je ispod laboratorijskih dokaza da ubija ove vrste tumorskih ćelija. Naše mišljenje je da efekti zaista mogu biti privremeni jer se veći deo tumora leči nesmrtonosnom dozom. Pored toga, postoji zračenje koje se daje na vezu facijalnog nerva i područja moždanog stabla koje kontroliše ravnotežu i sluh. Dok su rani podaci iz američkih cen-

tara izvestili o dobrom očuvanju sluha sa ovim dozama, rezultati su se tokom godina dramatično pogoršali na nivoe ispod mnogih prijavljenih mikrohirurških metoda. Takođe, postoji zabrinutost za stvaranje karcinoma od zračenja i oštećenja centara za ravnotežu u susednom moždanom stablu koji se nastavljaju nakon zračenja i slabo reaguju na medicinsku i fizikalnu terapiju. Iz ovih razloga savetujemo izbegavanje zračenja kod mladih zdravih pacijenata, posebno onih sa već postojećim problemima ravnoteže. Postoji mnogo centara u SAD koji smatraju da je zračenje strogo kontraindikovano kod dece i onih sa genetskim uzrocima više tumora. U našem iskustvu smo, nažalost, videli mnogo takvih slučajeva agresivne transformacije tumora kod ovih mlađih pacijenata, lečenih na drugim mestima.

Kod odabranih pacijenata, čak bismo više voleli da pažljivo posmatramo tumore u pogledu rasta i promena simptoma, umesto da ih podvrgnemo zračenju jer se jednom daju, pošto smo primetili da je mnogo teže potpuno ukloniti ove tumore zbog ožiljaka na okolnim neravima i mozgu ako kasnije porastu i zahtevaju hitnije uklanjanje. Veoma mali broj centara, čak i na Zapadu, ima tako specijalizovane timove. Dr Fishman obučava hirurge u severnoj Evropi više od 25 godina i napravio je specijalizovani program za decu u centralnoj Poljskoj gde provodi deo svog vremena. Sada je došao da se pridruži timu prof. dr Nenada Živkovića u Beogradu gde su razvili specijalizovani tim i centar za operacije akustičnih neurinoma ovim savremenim tehnikama.

Što je najvažnije, pošto su klinički detalji i tumor svakog pacijenta različiti, mi održavamo filozofiju pružanja i individualizovanog plana lečenja koji ponekad ima više od jedne opcije. Shodno tome, podstičemo snažno učešće samih pacijenata prilikom odlučivanja u kom pravcu da idu, i smatramo da je naša odgovornost da oni u potpunosti razumeju i budu sigurni u svoj izbor lečenja.

49 ZDRAVSTVO - SRBIJA

Клиника за неурохирургију УКЦС Нова

хируршка процедура

за лечење спастицитета

УКлиници за неурохирургију Клиничког центра Србије од 4. августa 2023. се обавља операција због које су наша деца ишла на лечење у иностранство. Проф. др Милош Јоковић, директор Клинике за неурохирургију, у изјави за РТС наглашава да је ово дан који ће обележити историју неурохируршке клинике.

У претходних 10 година, због интервенције којом се решавао проблем спастицитета – повишене напетости мишића која онемогућава покретљивост екстремитета – само у Турску било је упућено на лечење око осамдесеторо деце.

Тим наших стручњака, на челу са колегом из Турске, чувеним неурохирургом Меметом Озеком обавио је операцију код троипогодишњег детета.

„Данас се ради први пут код нас, то је једна фактички, како ми кажемо, селективна дорзална ризотомија, то је операција која се примењује код деце која пате од повишеног тонуса у мишићима који им онемогућава ход. Најчешћи узрок тога је церебрална парализа код новорођене деце,

најчешће је то узрок крварење

или нека друга генетска стања, и таква деца временом фактички постају непокретна због укочености доњих екстремитета“, објашњава професор Јоковић.

Хируршка интервенција помаже да се деци поврати ход и да се може спроводити физикална терапија. У питању је мултидисциплинарна форма лечења тих пацијената, али кад остале интервенције не дају резултате, онда се ради ова сложена хируршка интервенција, додаје професор.

„Ово је круна сарадње између ‘Аџибадема’ и наше клинике. Ми

У Врању 2. августа 2023. Улагање у установе на југу Србије је приоритет

Министарка здравља Србије проф. др Даница Грујичић обишла је Здравствени центар Врање у којем је извршена реконструкција и изградња у вредности од две милијарде динара.

Проф. Грујичић је оценила да је улагање у установе на југу Србије изузетно важно, а да ће обновом и реорганизацијом болница у Врању имати све услове за збрињавање критично оболелих пацијената.

”Надам се да ће овако као што сада изгледа болница у Врању, изгледати ускоро све више болница у Србији. Али, осим о новој опреми, морамо да

бринемо и о кадровима, јер у наредних пет година око 70 лекара специјалиста из овог центра одлази у пензију. Зато сада морамо примити довољно лекара и сестара да бисмо за пет година имали замену са специјалистичким знањем и искуством у дијагностици. Оно што могу да обећам јесте да ће Врање добити магнетну резонанцу следеће или 2025. године из кредита Светске банке.

смо се годинама припремали за ову интервенцију. Колегиница

Живковић је годину дана провела код проф. Мемета Озека и она ће бити један од водећих хирурга у овој патологији“, наглашава професор.

Уз то, била је потребна набавка одређених техничких средстава и инструмената јер ова интервенција подразумева пресецање дела нерва за ногу, а да при томе остане функционалан како напетост мишића не би прешла у млитавост. „Ми смо до сада послали више од седамдесеторо деце у Турску и неколико њих је самоиницијативно ишло у Америку, тако да је ово заиста велики бенефит и за нашу децу, и за наше друштво и за наш систем. Захваљујемо се и Клиничком центру и разумевању министарстава који су нам заиста омогућили да ово приведемо крају“, истиче др Јоковић, директор Клинике за неурохирургију. Како би се тим Клинике за неурохирургију, који је мултидисциплинаран, у потпуности едуковао, најпре ће неколико операција бити обављено уз помоћ професора Озека који је дошао са још тројицом својих колега.

„Када се заиста потпуно оспособимо, да децу не шаљемо у иностранство, а да их ми овде оперишемо, него ћемо радити онако како би се радило и у иностранству“, закључује проф. др Милош Јоковић.

Што се тиче предлога за набавку ангио сале, молим колеге из управе да на време пошаљу кардиологе на усавршавање у УКЦС и на ИКВБ ‘Дедиње’, а Министарство здравља ће омогућити и да заврше обуке за интервентне процедуре уз помоћ артифицијелне интелигенције.” Посебну захвалност министарка Грујичић упутила је свим здравственим радницима из Врања и околине који су

50 ZDRAVSTVO - SRBIJA
M.C.

током пандемије успешно лечили велики број пацијената.

Потписан Меморандум о сарадњи за реализацију

Пројекта

Свако дете има право да

одраста здраво

Меморандум о сарадњи за реализацију Пројекта „Свако дете има право да одраста здраво!“, потписан је 31. јула 2023. у Скупштини Републике Србије између три министарства: здравља, просвете и спорта, а на иницијативу Скупштинског пододбора за спорт.

Пројекат треба да допринесе стварању јачег развојног система физичког

и здравственог васпитања и спорта у Републици Србији и да обезбеди развијање и неговање здравих стилова живота код ученика основних и средњих школа.

На свечаности потписивања Меморандума и на представљању пројeкта обратили су се председник Народне скупштине др Владимир Орлић, министарка здравља проф. др Даница Грујичић, министар спорта Зоран Гајић, државна секретарка у Министарству просвете Маријана Дукић Мијатовић и председница Пододбора за спорт Татјана Медвед.

Њихова заједничка порука је да тимским ангажовањем и заједничким напорима овај пројекат може да оствари циљ због кога је и креиран: да нам деца буду психофизички здрава, да имају добар квалитет живота и да изграде спортску борбеност и спортски дух.

„Округли сто“ 28. јул 2023. Мере лечења за некога ко може бити опасан по себе

и по друге

Јавна расправа о припреми Нацрта закона о допунама Закона о заштити лица са менталним сметњама одржана је

у организацији Министарства здравља у Палати „Србија“ у Београду. Скуп је одржан у форми округлог стола, у присуству медија.

После злочина у Србији почетком маја, када је у основној школи у Београду и у околини Младеновца убијено 19 особа, приступило се анализи закона и прописа који уређују област менталног здравља.

”Предложене мере нису рестриктивне, већ су мере лечења за некога ко може бити опасан по себе и по друге”, истакла је у јавној расправи министарка здравља Србије проф. др Даница Грујичић и додала: ”Непосредни узрок и разлог за доношење овог закона је ужасна несрећа у Основној школи ”Владислав Рибникар”. Након тога се видело да у постојећим законским актима, у Закону о менталном здрављу из 2013. године, није решено шта радити са децом која нису кривично одговорна”. Др Грујичић је оценила да се можда и касни са доношењем новог закона и подсетила на случај када су пре седам година малолетници у Новом Саду запалили бескућника. “Било је више примера злостављања животиња и млађе деце. Нажалост, десио се овај изузетно трагични догађај, који је непосредни повод за измене, а очито да је нешто требало да мењамо и раније”, рекла је проф. Грујичић.

свих грађана. Коментари и предлози могу се доставити путем мејл адресе mentalnozdravlje@zdravlje.gov.rs.

25. јул 2023.

Опроштајна посета амбасадорке НР Кине Чен Бо

Министарство здравља до 9. августа спроводи јавну расправу о припреми Нацрта закона о допунама Закона о заштити лица са менталним сметњама. Установљена је неопходност промене законских оквира како би држава имала ефикасне механизме за адекватно и правовремено реаговање.

Текст Нацрта закона о допунама Закона о заштити лица са менталним сметњама објављен је на интернет страници Министарства здравља https://www. zdravlje.gov.rs/ и на порталу https:// ekonsultacije.gov.rs/

Позивамо стручну јавност и све заинтересоване да учествују у расправи и својим коментарима и предлозима допринесу што квалитетнијем финалном нацрту закона, који је у интересу

Министарка здравља Даница Грујичић састала се са амбасадорком Народне Републике Кине у Србији ЊЕ Чен Бо, којој је се ускоро завршава мандат у нашој земљи.

То је била прилика да се подсете свих заједничких акција, пројеката и донација које су спроведене током четворогодишњег боравка ЊЕ Чен Бо у Републици Србији и истакну дугу историју пријатељства и сарадње двеју земаља у бројним здравственим и другим пројектима.

Амбасадорка Чен Бо ће остати упамћена у Србији као искрен и добронамеран пријатељ, јер је своју земљу и свој народ на најбољи начин приближила грађанима Србије. То поштовање изражено је и кроз одлично савладан српски језик којим се Чен Бо током свог дипломатског мандата увек служила.

Како је и сама амбасадорка истакла, њој је протекли мандат био један од најдражих и позвала министарку на опроштајни пријем који ће бити одржан у Амбасади НР Кине у Београду.

https://www.zdravlje.gov.rs/

Из активности министарке проф. др Данице Грујичић 51 ZDRAVSTVO - SRBIJA

ešto prije devet sati počela je da se širi vijest o pucnjavi u školi, u samom srcu prijestonice.

Mnogi su pomislili da se radi o “pucnjima upozorenja”, ranjavanju nekog lokalnog dilera koji je operisao oko škole… Međutim, onda su krenule da stižu nezvanične informacije da ima i stradalih, pa da među žrtvama ima i djece, da bi ubrzo bilo otkriveno da se u Beogradu desilo ono što smo mislili da nama nikada ne može da se dogodi.

Da se dogodilo ubistvo, masovno ubistvo, masakr u OŠ “Vladislav Ribnikar” i da su skoro sve žrtve nedužna djeca.

Počinilac, ni manje ni više, nego 13-godišnji dječak, učenik škole, dijete iz ugledne porodice, koje je postalo najmlađi masovni ubica na svijetu, a da su

Masakr u OŠ “Vladislav Ribnikar”

Ne mogu samo da ćutim

U dane velike proljetne slave, kada život zlo pobjeđuje, žalosna vijest struji kroz etar, da li je tačno pita me vjetar, da je dobri čuvar i devet ‘tića, otišlo od nas u nebića?

Vjetar ne laže kada kaže, da je zlo vrijeme donijelo ovo breme, i odnijelo anđele naše, koji se još radovati ne znaše.

većina ubijenih njegovi drugari iz odjeljenja ili vršnjaci koje je veoma dobro poznavao.

Roditelji su tog 3. maja ispratili djecu u školu, neki zbog obaveza čak nisu ni stigli da se pozdrave. Nisu znali da je to posljednji put da vide svoje dijete. Nakon toga, deset porodica je ostalo bez svojih najbližih – roditelji djece koja su pohađala OŠ “Vladislav Ribnikar” više nikada neće vidjeti svoje kćerke i sinove.

Potresne slike drugara ubijenih, ali i desetine hiljada Beograđana koji su narednih dana u tišini prodefilovali pored “Ribnikara”, u suzama i kroz jecaje ostavljali cvijeće, palili svijeće, ispisivali poruke, obišle su region, pa i šire.

Ostale su puste školske torbe, neispisane sveske, nedosanjani snovi, izgubljene nade, i te oči pune straha, što nas zovu iz tog mraka.

Njihov drug iz školske klupe, posijao je smrt uz dječje jauke, i sad krik bola iznad klupa lebdi, kao da je leptir što neće da sleti.

Njihove su duše ostale sa nama, da žive vječno kao u knjigama, i taj list što držiš u ruci, samo je dio zatrtog sna koji ne spava u luci, i blagosloven bih bio, da ga nikad nisam ni vama donio.

N
Nedeljko Z. Milaković
Beograd, 3.6.2023. godine
52 ZDRAVSTVO - SRBIJA

ећ дуже времена некако је

утихнуло сећање на велику Ољу Ивањицки, или се то нама обичним грађанима тако чини. Рођена је у Панчеву, живела до студија у Крагујевцу, студирала у Београду и ту остала до краја живота.

Кћерка белогардејца рођена је у „руској болници” у Панчеву, мајка јој је ускоро умрла од туберкулозе и од тада је упућена на свога оца који је с обзиром на то да је био стручњак за војну индустрију, балистику, започео живот у Крагујевцу. Живот их није штедео недаћа, али су се борили да из њих увек изађу као победници. Малој Олги, Ољи, отац је редовно пред спавање читао бајке. Као девојчица учила је више страних језика што ће се показати као спасоносно јер је, захваљујући знању немачког језика, спасила живот своме оцу. Немцима, окупаторима, који су кренули да одводе оца отресита девојчица је изговорила на њиховом језику „да га не воде, да га пусте јер он је бела гарда”. Чувши то од нејаког детета, заштитника свога родитеља, устукнули су и пустили га. Радили су башту, давао је отац часове математике… само да се прехране и живе даље. Чак је и Оља као дете талентовано за математику дајући часове зарадила свој први хонорар. Знала је касније да каже да су Руси за математику таленти.

Вајар по факултетској дипломи, Оља је у животу била познати, велики сликар. Још је и писала, стварала поеме, радила за позориште, осмишљавала велике модне ревије… била је мултимедијални уметник, како се то каже. По ономе како је говорила, радила и колико су је људи волели рекли бисмо да је била хуманиста, добар човек.

Ољи-Олги Ивањицки посветили смо ово кратко сећање не само због ње, него због свих њених сународника који су нашли уточиште у нашој земљи бежећи од прогона и казне. Живећи и радећи међу нама дали су велики, трајни допринос.

Лист „Политика” објавио је 12. јула 2023. године мој чланак подршке да се трг пред Општом

Оља Ивањицки –

инспирација и за време будуће

Мом писању придружила се

наша Оља, др Олга Лекић, написавши кратко сећање на време

када су њени акварели излагани са сликама Оље Ивањицки и других уметника. Била је то велика част и јако позитивно осећање које често нашој Ољи навире у сећање.

болницом Панчево назове њеним именом у чијој близини се налазила руска болница. Касарна је добро послужила тој намени лечећи много изнемоглих, оболелих од инфективних болести, повређених, а дешавали су се и лепи догађаји – у порођајној сали руске болнице рађао се и нови живот.

У часопису „Medici. com“ ранијих година објавили смо простран чланак о откривању руске плоче на згради Српског лекарског друштва у знак захвалности и сећања на руске мисије које су, кад се све добро проучило, пружиле највећу помоћ међу санитетским мисијама у Првом светском рату. Писали смо и о чувеној болници у Младеновцу која и данас ради, а која је заувек забележила доброчинства једног лекара, Руса, који ју је основао и којег је на вечни починак испратила, како се сведочило и писало, „цела Шумадија”. И отац Оље Ивањицки и лекар добротвор у Младеновцу били су грофови.

Дошао је ред да Секција за хуманост, уметност и културу Друштва лекара Војводине обнови сећање на велику уметницу и хуманисту Ољу Ивањицки коју поштује цео свет.

Пише ми: „Ево мог прилога и неколко фотографија, каталога. Нешто што ме подсећа на Велику Ољу Ивањицки. Увек се сетим са сетом и пријатним сећањем на неке тренутке”.

Гласам за Трг Оље Ивањицки пред

Споменик Војводи Шупљикцу испред болнице у Панчеву, рад Оље Ивањицки (Фото: Славица Жижић Борјановић

Иницијатива да Трг пред панчевачком болницом понесе име сликарке Оље Ивањицки која је у Панчеву рођена за мене има пуни смисао. Панчево је било уточиште великог броја руских породица између два светска рата. Оља је рођена у некадашњој касарни, у време њеног рођења тзв. руској

В
Општом болницом Панчево
54 ZDRAVSTVO - SRBIJA

болници. Трајала је болница пуних двадесет година.

Ових дана обилазила сам Панчево, место мога детињства и фотографисала споменик Војводе Шупљикца пред панчевачком

болницом. Тако сазнадох да је дело уметнице Оље Ивањицки.

Оља је у Панчеву рођена, а војвода упокојио.

Панчевачкој болници наша Секција за хуманост, уметност и културу Друштва лекара Војводине у три наврата поклонила је велики број књига за болесничку библиотеку. Деца др Емилије Атанасијевић, сликарке и песникиње, са пуно љубави одвајала су најлепше књиге из своје библиотеке, најлепше бајке за болесну

децу у болници Панчево. Још ћемо књига поклонити кад узмогне-

мо. Чека нас још пуно болница

у Србији, мада смо обезбедили

књиге већ за 57.

Оља Ивањицки је значајан

сликар, а место рођења Панчево

одређено је према могућностима

да се већи број избеглица смести

у једној вароши. Међу избеглима

био је већи број лекара, а међу њима и професора који су дали велики допринос развоју Медицинског факултета у Београду. О архитектама који занавек украсише

наш Београд најлепшим здањима

излишно је овде и говорити.

У Панчеву је издаван „Домаћи лекар”, првенац часопис те врсте, још крајем 19. века. Чувена „руска болница” лечила је не само руске породице, него и све „домаће” које су биле у потреби. Крај улаза је свечано постављена плоча која је сведочила о томе да је руска болница била на месту некадашње касарне, а данас је зграда Центра за културу омладине Панчево. Немало сам била изненађена

када је о томе писала „Политика” јер препознадох да је то била зграда, касарна мојег оца који је руководио тенковском бригадом, стационираном у Панчеву. Допала га је част да је „шездесет и неке” предводио целокупни ешалон оклопних возила, тенкова, војнички поздрављајући из отвореног џипа пред големим возилима на гусеницама. Ми, деца, били смо поносни на својег оца. Како Тамиш често плави и даве се дивље животиње,

спасену дивљач отац је удомио у

за њих направљеном зоолошком

врту о којем су се бринули војни-

ци. Ланад кад порасту пуштана

су у природу. Војници су се учили хуманости, не само војничкој дисциплини и одговорности.

На згради у центру Београда

стоји табла која сведочи о томе

да је у њој некада живео др Јован Јовановић Змај. Кућа је наспрам Задужбине великог Иве Андрића.

У Хиландарској 7 је кућа у којој

је једно време живео др Лаза Лазаревић, велики књижевник, али и лекар којем је измакла светска слава за откривање Лазаревићевог знака. Писала сам о томе да кућа треба да буде обновљена и сачувана за следећа покољења на страницама „Политике”. Сада је на ред дошла једина дама „Медиале”, уметница Оља Ивањицки. Предлог да се Трг пред панчевачком болницом назове њеним именом само је почетни корак да се њено име отргне од заборава. То су уметници који су пронели славу наше земље. Рођена у Панчеву, које је између два рата једно време било спојено са Београдом, можда и нема бољег начина да се великој уметници одужи. Подржавам предлог да се Тргу пред панчевачком болницом да име Оље Ивањицки, а чврсто обећавам да ћу га ставити на увид свим лекарима и придруженим члановима Секције за хуманост, уметност и културу ДЛВ СЛД за коју са поносом могу рећи да је прогласише највреднијом секцијом на скупштини Друштва лекара Војводине марта 2023. којој и лекари Панчева сада припадају.

Велико хвала за иницијативу.

Некада давно, колико се сећам, у Панчеву је сниман филм „Гласам за љубав“. Као девојчица помно сам пратила снимање. Дошло је време да гласамо за предлог који, пре свега, одражава људску хуманост. Да дамо глас за велику Ољу Ивањицки.

Лекари ће иницијативу здушно подржати. Међу њима је приличан број лекара уметника.

Др сц. мед. Славица Жижић Борјановић, секретар Секције за хуманост, уметност и културу Друштва лекара Војводинe СЛД

Из прве руке

У мноштву мојих изложби, преко 300 колективних у земљи и иностранству, осам самосталних у земљи и две међународне самосталне (Лондон ”Wест Норwоод Галлерy 1996. године, Њујорк -”Перрy Матто Галлерy”1999. године.) Као и мојој медијској присутностиписани медији (новине, часописи, књиге, алманаси) радио и ТВ емисије - уживо у програму... посебно издвајам изложбе, жириране у некада Продајној галерији Београд, која је касније постала скраћено само ПГБ, на Косанчићевом венцу, на којима сам учествовала и била јако поносна што су моји, пре свега, акварели били изложени, заједно са сликама еминентних сликара, међу њима и радови наше познате Оље Ивањицки. Знам да је становала и имала истовремено и свој атеље у непосредној близини на Косанчићевом венцу. У каталозима је прво презиме аутора, после име. У једном од њих била су прво имена, зашто је било обрнуто незнам (али мислим да је правилније). Али због чега је овај текст настао? То је због мог сећања, да смо у каталогу биле три Оље, овим редоследом: Оља Ивањицки, Оља Лекић и Оља Леви, заједно, односно једна испод друге. О Ољи Ивањицки, познатој мултимедијалној уметници, је написано много. Подржавам сваку инцијативу да се забележи живот, стваралаштво. Постоји изрека незнам име аутора, парафразирам ” да је најбоља слика она која виси на нечијем зиду”.

Моје издвојене изложбе: БЕОГРАД - галерија ПГБ Косанчићев венац: Акварел и цртеж у српској уметности 1996, 1998, 1999, 2000. године. БЕОГРАД - галерија ПГБ Косанчићев венац: ”Београд некад и сад” 2001 године БЕОГРАД галерија ПГБ Косанчићев венац: Пејсаж у савременој југословенској уметности 1997, 1999. године.

Олга (Оља) Лекић, 14.7.2023. године.

55 ZDRAVSTVO - SRBIJA

Милан Шарац

Лепа жена се свиђа очима, А добра жена се свиђа срцу: Прва је драгуљ, а друга је ризница”

(Наполеон Бонапарта)

Ољу Ивањицки сам први пут срео у Kултурном центру Београда. Био сам тада студент Факултета драмских уметности и преко студентске задруге повремено радио неке техничке послове у изложбеном простору центра. Нисам уопште сигуран како и зашто сам се тога дана затекао у галерији.

Ходала је усправно, сигурним, елегантним кораком. Било је немогуће не приметити такву жену. Нека њена харизма испуњавала је читав простор око ње. Просто се физички осећало да је ту.

Стајао сам са двојицом другара на улазу у салу и она се, пролазећи поред нас, врло срдачно насмешила, гледајући, тако ми се учинило, баш у мене. Чак је лагано климнула главом, тихо али разговетно казала: „Добро вече”, и испод елегантног црног дамског шешира, нагнутог благо надесно, као да ме је помиловала својим плавим, насмешеним оком. Није ми било свеједно, мада сам на тренутак помислио да ми се то само учинило и да уображавам.

Њено јављање, поглед и смешак, већ сам сматрао као случајност, кад је она у пратњи две даме и директора центра, после пола сата напуштала изложбу. Стајао сам на истом месту на којем сам био кад је долазила. Ишла је право према мени, поново климнула главом, упутила ми исти смешак и поглед, па изговорила сасвим

Сећања редитеља Милана Шарца о Ољи Ивањицки

Јединствена Оља Ивањицки

јасно: „Довиђења.” Моји другари

су запањено гледали.

Kако сам прилазио њеном стану, одлучност се полако топила. Ипак, сам позвонио.

Ушао сам у атеље и затекао је у белом радном мантилу, за штафелајем, окренутим вратима. Погледала ме је истим оним погледом, насмешена, и сасвим срдачно рекла:

– Е, па, чему могу захвалити ову ненајављену посету, младићу? Седи, јеси ли за кафу или за неко пиће?

Сео сам на најближу фотељу, тамнозелене боје. Фасцикла ми је још била под руком, а грло ми се сушило.

– Извините – заустио сам. –Дошао сам да вас нешто замолим. Дуго се већ накањујем, али ево тек сада сам прикупио храбрости да дођем.

– Добро, добро, после ћемо о томе. Хајде опусти се, спусти ту фасциклу на столић и да чујем нешто о теби. Нећу одмах прелазити на твоју молбу – рекла је седајући преко пута мене.

– Знаш – рекла ми је – људе препознајем по енергији. Имам за то некакав дар. И кад сам концентрисана могу то да урадим на приличну даљину. Ево тебе сам видела у Kултурном центру. Погледала сам случајно у твом правцу и видела очи какве баш волим. Светле и топле. Зато сам ти се тамо јавила и кад сам долазила и кад сам одлазила. Јеси био збуњен?

– Јесам – рекао сам. – Мислио сам да сте ме са неким заменили.

– Не, не, нисам, видиш да се добро сећам, а од тога је прошло доста времена. Боје и топлину памтим добро. И немој ме више ословљавати са „ви”. Са људима

који имају очи као ти, за то нема потребе.

Слушао сам шта говори, а некаква лагана измаглица ми је прожимала цело тело. Звучало ми је невероватно. Мора да сам деловао прилично смушено, кад ме је кроз смешак охрабрила.

– Добро, де, не треба да се стидиш. Ево, од сада подразумевај да смо пријатељи. Пићемо кафу, разговарати, можеш бити слободан у разговору, не треба да црвениш. Хајде, за почетак ми причај шта радиш, чиме се бавиш, где живиш?

Почео сам полако, али све опуштеније, причати о себи и ја је, уз кафу, замолих да ми илуструје књигу.

– Хоћу – рекла је. – За кад ти треба?

– За месец дана.

– У реду, дођи за три недеље, тачно на данашњи дан.

Поздравили смо се. Пољубила ме је у образ док сам излазио и рекла да за три недеље будем обавезно ту. Прославило се то, а у очима друштва мој углед је неслућено порастао. Шапутало се како сам ја Ољин љубавник, конструисани су брзином муње невероватно ласцивни трачеви, без икаквог ос-

Оља Ивањицки у свом атељеу
17.6.2023.
56 ZDRAVSTVO - SRBIJA
Преузето: лист „Политика“
ПОГЛЕДИ

нова, а ја тог момента још нисам

био свестан да се створило велико пријатељство и опчињеност

њеном лепотом и визионарством.

Жене које долазе у центар поче-

ле су ме гледати са већим занимањем, љубопитљиво и некаквим

до тада мени непознатим сјајем у

очима. На почетку ме је то нервирало, али сам то превазишао

и почело ме је чак и забављати.

За три недеље, тачно у подне, а био је петак, стигао сам на Ољина врата. Зазвонио сам и она ми је отворила. У наручју је држала Маленог, који ме је гледао весело цвилећи.

– Изволи – рекла је.

Ушао сам за њом у атеље. Сео сам на исто место као и претходни пут, а она преко пута мене. На столу је била моја плава фасцикла, видно увећана.

– Све је унутра. Хоћеш погледати?

Узео сам фасциклу. Било је ту око двадесетак њених илустрација, мајсторски урађених. Видело се да није ишла само да заврши посао већ да су њени цртежи пратили садржај и да је то радила

са великом пажњом.

– Ево, све сам поређала како би то требало да стоји и назначила стране. Мислим да ће бити јако ефектно. Лепи су ти афоризми. Духовит си, што ми је нарочито драго.

– Хвала – рекао сам.

– Знаш, ти си необичан момак. Мени јако личиш на Наполеона. Мислим да је твојих година изгледао баш како ти сада изгледаш. Могу те понекада звати Бонапарта?

– Можеш како хоћеш, годи ми та упоредба, промуцао сам.

– Само, мораш бити више одлучан и мање стидљив. То спутава човека.

– Потрудићу се.

Испратила ме је и поново пољубила у образ. Отишао сам издавачу пун магије коју сам од ње понео. Чинио сам се себи великим, значајним и важним. И потпуно недвосмислено, био сам заљубљен до ушију. Много година касније, говорила је за документарни филм који је о мени правио новинар Раде Бранков. Тада је рекла нешто чиме сам био јако изненађен, говорећи о лепом уопште, следећу реченицу:

– Најлепше су очи Милана Шарца.

Kада сам радио документарни филм о њој, свакодневно сам долазио у њен атеље и био врло захтеван. Морала је да мења гардеробу, места снимања и шминку. У једном моменту, ујутру ми је казала: – Мораћеш у Панчево!”

– Зашто? – упитао сам.

– Тамо је моја статуа војводе Стевана Шупљикца и тражи-

ла сам да је поставе пред панчевачком болницом – одговорила је.

– Знаш ли зашто? – упитала је.

– Не знам о томе ништа – одговорих.

– Ево, ускоро ћеш сазнати...

– Рекла сам ти да филм о мени није потпун ако не снимиш статуу војводе Стевана Шупљикца, пред панчевачком болницом. Та болница повезује мене и тог дивног војног заповедника Срба у Војводини за време Аустроугарске.

– Kако?

– Он је тамо умро, а ја сам се тамо родила.

Размишљао сам како да дам наслов филму – „Оља у 10 слика”. Допало јој се. У међувремену, неко је дао идеју да промоција буде у Скупштини града.

Направили смо филм и радовали се премијерном приказивању.

Пошаљем захтев тадашњем градоначелнику, мислећи да ће та власт то једва дочекати, али градоначелник је био неумољив. Следиле су ургенције, али се ништа није променило...

Оља је била веома тужна и разочарана гестом градоначелника. Филм смо премијерно приказали у Атељеу 212.

Градоначелник је умро 27. септембра 2007, а Оља 24. јуна 2009. Обоје су сахрањени на београдском Новом гробљу у Алеји заслужних грађана. Иронија судбине или нешто друго, удесила је да су им хумке једна поред друге. – За мене су живот и смрт прелаз из једног стања у друго, с тим што није дефинисано, ни ово сада, ни оно после. Не могу да кажем да је смрт стање у којем све престаје – рекла је Оља за моју књигу између живота и смрти.

Одем понекад на Ољин гроб. Однесем цвеће. Некад се сетим нечег смешног, веселог и сам се насмешим. Свећу запалим пред одлазак. Запалим и одем.

На гробљу се наде гасе, а свеће пале.

Редитељ Милан Шарац

57 ZDRAVSTVO - SRBIJA

Umanjenje životne aktivnosti i umanjenje radne sposobnosti

Član 195. Zakona o obligacionim odnosima predviđa da onaj ko drugome nanese telesnu povredu ili mu naruši zdravlje, dužan je naknaditi mu troškove oko lečenja i druge potrebne troškove s tim u vezi, kao i zaradu izgubljenu zbog nesposobnosti za rad za vreme lečenja. Dakle, u ovoj situaciji govori se o naknadi materijalne štete zbog umanjenja radne sposobnosti. Naknada materijalne štete zbog umanjenja radne sposobnosti odnosi se na gubitak u zaradi koju bi oštećeni ostvarivao da nije došlo do povređivanja. To znači da se naknada štete po ovom osnovu dosuđuje ne zbog smanjene ili izgubljene radne sposobnosti, već zbog zarade koja sledstveno tome, izostaje ili je manja.

S druge strane, članom 200. Zakona o obligacionim odnosima predviđena je mogućnost novčane naknade nematerijalne štete koja se može ostvariti po osnovu pretrpljenih duševnih bolova zbog umanjenja opšte životne aktivnosti. Umanjenje životne aktivnosti, kao poseban osnov za naknadu štete zbog duševnih bolova, obuhvata sva ograničenja u životnim aktivnostima oštećenog koje je ostvarivao ili bi ih po redovnom toku stvari u budućnosti izvesno ostvarivao. Te aktivnosti mogu biti: bavljenje sportom, čitanje, intelektualni rad, obavljanje poslova po kući… Dakle, osoba koja u slučaju telesne povrede oseća duševni bol zbog nemogućnosti da delimično ili potpuno učestvuje u aktivnostima koje su joj, inače, bile dostupne, ili koje su dostupne ljudima koji nisu pretrpeli povredu, ima pravni osnov da potražuje naknadu nematerijalne štete u skladu sa članom 200. ZOO.

Dakle, zaključuje se da pretrpljena telesna povreda ili narušeno zdravlje, u skladu sa odredbama Zakona o obligacionim odnosima, mogu predstavljati osnov za naknadu kako materijalne štete - štete zbog umanjenja radne sposobnosti, tako i nematerijalne štete – štete zbog pretrpljenih duševnih bolova zbog umanjenja opšte životne aktivnosti.

Primer iz sudske prakse:

Zbog gubitka, oštećenja ili onesposobljenosti pojedinih organa ili delova tela, kod oštećenog dolazi do ograničenja pokretljivosti ili otežane normalne aktivnosti organizma pa on ne može da vrši ili samo uz pojačane napore može da vrši opšte životne aktivnosti; naknada nematerijalne štete zbog umanjenja životne aktivnosti je nešto sasvim različito od naknade štete zbog umanjenja radne sposobnosti.

Iz obrazloženja:

Prvostepenom presudom je, između ostalog, delimično usvojen tužbeni zahtev tužioca za naknadu duševnog bola zbog umanjenja životne aktivnosti. U obrazloženju presude navedeno je da tužilac trpi duševne bolove zbog umanjenja životne aktivnosti koje se ogledaju i u tome što je tužiocu smanjena radna sposobnost, a što je utvrđeno iz nalaza i mišljenja veštaka medicinske struke. Drugostepeni sud, odlučujući po žalbama parničnih stranaka te po službenoj dužnosti pazeći na pravilnu primenu materijalnog prava, nalazi da je stav prvostepenog suda u tom delu pobijane odluke pogrešan. Naime, prilikom određivanja medicinskog veštačenja treba pravilno da se definiše šta je predmet veštačenja i na koja pitanja veštak treba da odgovori iz oblasti koje nisu u domenu znanja lica koja nisu lekari odgovarajuće specijalnosti. Ako veštak izađe iz domena svojih kompetencija ili se izjašnjava o okolnostima koje nisu relevantne, zadatak je suda, naravno i stranaka, da ga usmere da odgovori na ono što je vezano za predmet veštačenja. Konkretno, da bi se odlučilo o naknadi nematerijalne štete za duševni bol zbog umanjenja život-

ne aktivnosti, potrebno je utvrditi koje povrede je oštećeni zadobio i koje su trajne posledice zadobijenih povreda, odnosno, da li se i kako one manifestuju na umanjenje životnih aktivnosti oštećenog. Te aktivnosti su: kretanje, obavljanje svakodnevnih radnji vezano za ishranu, bavljenje sportom, čitanje, obavljanje poslova u kući, dakle, to su radnje u zadovoljavanju običnih, redovnih, svakodnevnih potreba i interesa. Ovakve radnje lice kod koga postoji umanjenje životne aktivnosti obavlja uz pojačane napore, koji su veći ili manji i upravo zavise od težine posledica koje je povreda ostavila. Dakle, zbog gubitka ili oštećenja ili pak onesposobljenosti pojedinih organa ili delova tela, kod oštećenog dolazi do ograničenja pokretljivosti ili otežane normalne aktivnosti organizma pa on ne može da vrši ili samo uz pojačane napore može da vrši opšte životne aktivnosti. Ovo prouzrokuje duševni bol i zbog toga se oštećenom dosuđuje novčana satisfakcija. Umanjenje životne aktivnosti se najčešće iskazuje procentualno, ali je još važnije od toga opisati u čemu se ono ogleda. Naknada nematerijalne štete zbog umanjenja životne aktivnosti je nešto sasvim različito od naknade štete zbog umanjene radne sposobnosti. Ovo drugo je vid naknade materijalne štete i ogleda se u umanjenju sticanja zarade, koju bi oštećeni ostvarivao po redovnom toku stvari da nije povređen.

Medicina i pravo
58 ZDRAVSTVO - SRBIJA
(Presuda Osnovnog suda P 1020/10 od 16.2.2011. god. i rešenje Apelacionog suda u Novom Sadu Gž 3021/11 od 9.2.2012. god.)

XII Kонгрес лекара Опште медицине Србије

са међународним учешћем

Теме:

1. Хитна стања у Општој медицини

2. Пацијенти са малигним оболењима и лекар Опште медицине

3. Пост COVID и улога и значај лекара у Општој медицини

4. Слободне теме

28.09.-01.10.2023.
Златибор, Хотел Moнa
http://www.opstamedicina.org/default.asp?id=1605
59 ZDRAVSTVO - SRBIJA
GODINA XI BROJ 112. AVGUST 2023. 61

medicinska revija medical review

Nove knjige / New books

а л е н т и н а Н и н и ћ , М и л о р а д Ж и к и ћ Пастерово друштво, 2023. Нови Сад

Књиге о старима и старости, када се корисно пренесу у праксу свакодневног живота, свакако су за све добродошле Како за људе на које се тематски односе, тако и за теоријска проучавања проблема старости и старења, за прикупљање искустава која ће се стицати кроз животе старијих и чланова њихових породица, лица која о њима брину, као и кроз рад људи ангажованих у службама социјалне и здравствене заштите. Књига Филозофија умећа успешног старења - додати живот годинама упућује како одржати физичко здравље и кондицију, одржавати и унапређивати ментално здравље свакодневним креативним радом, практиковањем здравих навика и животом у и са природом, као и уживањем у свакодневном породичном и друштвеном животу. У књизи се истиче да старији и стари заслужују да искористе и уживају предности пензионерског живота, круне свих претходних, у коме треба посветити посебну пажњу здрављу као темељу живота, сузбити болести које се могу појавити код старијих и старих истим поступцима као и оних у ранијим периодима живота и тиме остварити велику победу над свим заблудама и митовима које се претећи наводе да су терет трећег животног доба!

Књига је настала током обележавања деценије здравог старења Светске здравствене организације. Има захтевну улогу да га промовише, популарише и допре до свих оних који желе да прошире знање и оспособе се за успешно старење. Садржи бројне анализе и податке ранијих и садашњих сазнања о позитивним смерницама успешног старења, у својим многобројним и разноврсним аспектима, а обогаћена стручно заснованим и психолошки продубљеним размишљањима и коментарима, поприма и филозофски карактер Посебна је и по драгоценим и поучним сазнањима и подацима добијеним из аутентичних биографија, пажљиво прикупљених од многих успешних и дуговечних људи из разних крајева света

Lalošević D et al n MD-Medical Data 2023; 1 5 ( 1 - 2 ) : 053-054
С Т А Р Е Њ А T H e P H I L O S O P H Y O F T H e A R T O F S U C C e S S F U L A
В
Ф И Л О З О Ф И Ј А У М Е Ћ А У С П Е Ш Н О Г
G I N G
1 5
1 - 2
053-054 62 NMK
Lalošević D et al n MD-Medical Data 2023;
(
) :

Истиче се да старији људи упућени у умеће успешног старења и потребног прихватања реалности, доживе да им треће доба живота буде испуњено радошћу, са акцентом на окружење ближњих којима могу да се посвете, да примају и дају: добра дела, међусобно разумевање, размену осећања, преношење знања и богатог животног искуства на млађе, што у нашим животима представља оне његове делове који то заиста и заслужују Сасвим довољно што човек треба и може да уради у животу, што свеукупно представља веома вредан и најбољи разлог да настави конструктиван и оптимистичан живот, на задовољство и радост свих Књишки текст је лагано и пријатно штиво за читање у једном даху, допадљиво и стручно написано, у прикладном формату и разумљиво за све без обзира на ниво образовања Њен најактуелнији и најпожељнији циљ је да подржи савременике у њиховим бременитим животима, напорима да избегну или превазиђу странпутице и путање у неизвесност, написана са намером да подстакне заинтересоване да унапреде своје способности за успешно старење и тако стигну што даље, могуће и до најудаљеније Луке Живота.

Иако је, судећи по свему о чему нас посредно или непосредно и ревносно медијски обавештавају, невесела планетарна ситуација са погубним последицама неолибералног капитализма, климатским променама и оружаним сукобима поодмакло измакла контроли, што директно и највише утиче како на младе људе на путу ка њиховом формирању, тако и на путу одраслих ка успешном старењу, аутори књиге се обраћају читалачкој публици са непоколебљивим оптимизмом и поруком да се морамо сналазити и употребом „филозофије”, и да предности дариваних живота остваримо и прихватљиво успешно приведемо неумитном крају!

Судећи према карактеру садржине књиге аутори верују да је то оствариво, иначе књигу засигурно не би ни писали! Читалачка публика ће о њој дати најобјектинији суд и закључак, а ми је препоручујемо за читање јер је написана са пуно охрабрујућег оптимизма упућеног свим људима да успешније проведу и искористе животе у времену трећег хронолошког доба

Академици АМН СЛД Душан Лалошевић, Петар Сланкаменац и Владимир Т Јокановић

54 Nove knjige / New books MD MeDICAL DATA / Vol 15 NO 1-2 / Januar-Avgust 2023
Nove knjige / New books 63 NMK

medicinska revija medical review

Проф др Теодор Ковач држи говор на Медицинском факултету у Новом Саду 24 априла 2023 године, на свој стоти рођендан (фото: проф др Игор Митић)

Милорад Жикић

Како већ из наслова очекивано проистиче за људску громаду и биолошки раритет у националним и европским оквирима, нанизало се поред бременитог и садржајног живота и проживљених година и много врхунских резултата у струци, науци, хуманитарним и културним активностима, нашег и европског слављеника Теодора Ковача (Нови Кнежевац, 24 април 1923)

Највеће и највише могуће заслужене колегијалне и људски искрене честитке примио је од својих суграђана, на челу са председником Града, челницима Медицинског факултета, Клинике за ендокринологију Института за интерне болести, Јеврејске општине у Новом Саду и Заједнице Јеврејских општина Србије, Друштва лекара Војводине Српског лекарског друштва, огранка Академије медицинских наука Српског лекарског друштва у Новом Саду, пријатеља, поштовалаца

Актуелно је најстарији новосадски, национални и европски лекар интерниста - ендокринолог, дијабетолог, пензионисани професор Медицинског факултета новосадског Универзитета, један од најстаријих редовних чланова Академије медицинских наука Српског лекарског друштва, оснивач Клинике за ендокринологију садашњег Института за интерне болести Клиничког центра Војводине, лауреат Годишње награде новосадског Медицинског факултета и Друштва лекара Војводине Српског лекарског друштва за научно истраживачки рад, потом и Годишње награде ДЛВ-СЛД за животно дело, председник Подружнице ДЛВ-СЛД, аутор великог броја стручних радова и медицинских књига Његов први рад од пре 70 година, објављен у Медицинском прегледу био је о беснилу у селу Бешка, где му је било и прво радно место као лекара опште медицине И тај његов рад нас снажно повезује у Пастеровом друштву у Новом Саду, поред улоге коју је имао као председник Управног одбора Пастеровог завода, редовног а потом и почасног члана Друштва. Ништа у животу није добио незаслужено, тако је и у депандансу Музеја Војводине у Хемптовој кући, у саставу Завода за антирабичну заштитуПастеровог завода у Новом Саду, поводом 95 рођендана откривена његова биста, рад вајара Владимира Т Јокановића, што припада само најзаслужнијима! Почасни је члан и Секције за историју медицине СЛД Више од пола века ме и лично везује познанство са великаном, професором Тео Ковачем Био ми је наставник током студија медицине, потом велики узор у струци и поштовани старији колега до његовог пензионисања у оквиру рада на Медицинском факултету и у оквиру консултативних прегледа оболелих на одељењима на којима смо радили као лекари специјалисти Добро сам га уочио и запамтио као јединог од свих наставника који је доследно присуствовао свим догађањима на Факултету од значаја за науку, тако и одбранама магистарских

Jubilej/Jubilee П Р О Ф Е С О Р Т Е О Д О Р К О В А Ч , Н А Ј С Т А Р И Ј И Н О В О С А Д С К И Л Е К А Р П Р О С Л А В И О 1 0 0 - т и Р О Ђ Е Н Д А Н P R O F e S S O R T e O D O R K O V A Č , T H e O L D e S T D O C T O R F R O M N O V I S A D , C e L e B R A T e D H I S 100 T H B I R T H D A Y
и
64 NMK

докторских теза Када сам му са Иваном Ковачем пришао да га поздравим и пожелим успешан наставак битке за будући живот, и на наведено га подсетио након завршетка службеног дела њему посвећеног Омажа, са радошћу је прихватио предлог да се заједно фотографишемо за успомену на дан значајног славља Мој драги и цењени млађи колега Иван Ковач, неуролог и неурофизиолог, сада активан у приватној

пракси у Тел Авиву и Кфар Саби (Израел), професоров

је најближи и једини живи фамилијарни представник, син почившег Карла, његовог старијег брата Наравно да је Иван-Вања допутовао само да би цело време био са њим, код њега и у свим повезаним дешавањима са стричевом рођенданском прославом

Расположени Тео у средини, лево Милорад Жикић, десно Иван-Вања Ковач (Фото: Душан Лазар)

Не би овај кратки осврт на сасвим посебно уприличену и, за било ког човека у нас ретку, вековну рођенданску прославу, да се не придодају и они подаци из биографије тада млађаног Теа Ковача, они најтежи, најсуровији и најстрашнији делови живота које је проживео све време Другог светског рата, сведочио o страшном прогону Јевреја, провео га у интернацији, затворима, логорима и на принудном раду, преживео Холокауст очи у очи са злочинцима, изгубио родитеље и бројну родбину, отели им зликовци сву имовину После свега цео живот помагао je људима, без обзира на било шта, на расу, националну припадност, имовинско стање, образовање ... Само дубоко искрен људски однос према сваком!

За време студија, сиромашан да сиромашнији не може, у Београду се издржавао радом на пословима демонстранта, кориговањем и техничком припремом књига Један је од оснивача студентског стручног часописа Медицински подмладак Завршио је стручно-научну публицистичку каријеру као уредник, рецензент и активни приложник чланака у новосадском Медицинском прегледу У јеврејским организацијама веома активан од младости –након Другог светског рата ангажован у издавачкој делатности Савеза јеврејских општина Југославије (СЈОЈ), добитник Мегиле захвалнице и Захвалнице СЈОЈ, представљао јеврејску заједницу Србије на Светском конгресу јеврејских општина у Јерусалиму 1992, био председник Јеврејске општине у Новом Саду у два мандата, у више мандата и активни, а сада почасни члан Извршног одбора Савеза јеврејских општина Југославије, касније Србије, члан редакцијског одбора едиције Ми смо преживели Учествовао у превођењу књиге В Маношека Холокауст у Србији 1941/42, а са немачког је сам превео и две књиге Симона Визентала: Једро наде и Макс и Хелен.

Завршићу са навођењем спонтано изречене посланице једног од колега који је био за говорницом на уприличеном омажу: Да нам поживите још сто година драги наш професоре!

Милорад Жикић У Новом Саду, 27 априла 2023

Председник Управног одбора Пастеровог друштва у Н Саду, редовни професор неурологије МФ УНС у пензији, потпредседник Секције за хуманост, уметност и културу ДЛВСЛД и сениор Америчке академије неуролога

56 Jubilej
MD MeDICAL DATA / Vol 15 NO 1-2 / Januar-Avgust 2023
65 NMK

Glavobolјe spadaju među najčešće zdravstvene poremećaje u celokupnoj lјudskoj populaciji. Polovina do tri četvrtine odraslih osoba između 18 i 65 godina imala je glavobolјu u protekloj godini dana.

Glavobolјe se dele na primarne i sekundarne glavobolјe. Primarne glavobolјe su poremećaji iza kojih ne stoji druga bolest ili uzrok, dok su sekundarne glavobolјe one čiji uzrok je neka druga bolest ili poremećaj.

Među primarnim glavobolјama posebno značajne i učestale su migrena i tenziona glavobolјa, dok je nešto ređa klaster glavobolјa, a još su ređe druge primarne glavobolјe. Studije pokazuju da primarne glavobolјe čine 82% svih glavobolјa.

Sekundarne glavobolјe čine oko 18% svih glavobolјa. Međunarodna klasifikacija glavobolјa (ICHD-3) navodi osam kategorija i 46 podkategorija bolesti i poremećaja koje mogu biti uzrok sekundarnih glavobolјa (Tabela 1).

Tabela 1: Poremećaji i bolesti koje dovode do sekundarnih glavobolјa

• Glavobolјe usled traume i/ili povrede glave i vrata

• Glavobolјe usled vaskularnih poremećaja glave i vrata

• Glavobolјe usled nevaskularnih poremećaja u glavi

• Glavobolјe usled dejstva hemijskih supstanci ili prestanka efekta istih

• Glavobolјe usled infekcija

• Glavobolјe usled poremećaja homeostaze

• Glavobolјe ili bol u licu usled poremećaja lobanje, vrata, očiju, ušiju, nosa, sinusa, zuba, usta ili drugih struktura vrata ili lica

• Glavobolјe usled psihijatrijskih poremećaja.

DIJAGNOZA GLAVOBOLjA

Prvi korak u dijagnozi jeste da se pokuša shvatiti da li se radi o benignoj glavobolјi, ili se radi o potencijalno ozbilјnom uzroku glavobolјe.

Pošto se pacijenti javlјaju lekaru najčešće zbog akutno nastalih glavobolјa, potrebno je znati da od svih poseta urgentnim centrima akutne glavobolјe čine oko 2% godišnje. Od svih ovih poseta 98% su benigni razlozi, a 2% su životno ugrožavajući. Najčešći razlog javlјanju u urgentni centar zbog glavobolјe je migrena. Od 25 slučajeva akutnih glavobolјa jedan pacijent ima sekundarnu glavobolјu. Bez obzira na to što prevladavaju benigni razlozi glavobolјa, neophodno je imati strukturisan i pouzdan dijagnostički pristup da bi bili otkriveni se-

Dijagnoza sekundarnih glavobolja

Kada su glavobolje potencijalno opasne?

Dr Miodrag Manigoda, neurolog

Završio je Medicinski fakultet u Nišu 1999. godine. Specijalistički ispit iz neurologije položio je 2006. godine

PREDHODNA RADNA ISKUSTVA:

• Asistent pripravnik iz predmeta Farmakologija sa toksikologijom na Medicinskom fakultetu u Foči, Univerzitet u Istočnom Sarajevu od jula 1999. do novembra 2006. godine.

• Klinički lekar na Prijemno urgentnom odeljenju i neurološkom odeljenu bolnice u Foči od jula 1999. do januara 2002. godine.

kundarni uzroci glavobolјe, koji mogu biti opasni po život.

Klјučni alati, koji pomažu lekaru da proceni koja glavobolјa je opasna, a koja ne su anamneza i klinički neurološki pregled

Anamnezom se sagledavaju simptomi koji mogu predstavlјati takozvane “crvene zastavice”, odnosno znakove upozorenja, koji ukazuju lekaru da se moraju preduzeti sve dodatne dijagnostičke procedure da bi se dokazala ili isklјučila potencijalno životno ugrožavajuća bolest ili poremećaj koji uzrokuje glavobolјu. Validacionim studijama definisan je skup simptoma i karakteristika glavobolјe i samog pacijenta, koji se označava mnemotehničkom formulom SNOOP4, gde S (eng. systemic symptoms) predstavlјa sistemske simptome i znake, N ( eng. Neurologic) neurološke simptome i znake, O ( eng. onset) iznenadni nastanak glavobolјe, O ( eng. older) glavobolјe kod starijih osoba, P ( eng. pattern) promenu obrasca glavobolјe (progresivna, poziciono zavisna glavobolјa, edem paiple očnog nerva, prvocirana Valsalvinim manevrom).

Tabela 2 predstavlјa detalјnije objašnjenje:

Postojanje bilo kog od navedenih simptoma i znaka predstavlјa “crvenu zastavicu”.

Iako navedeni sistem analize simptoma jeste koristan u diferenciranju potencijalno opasnih uzroka glavobolјa, ipak je neurološki nalaz uvek najpouzdaniji indikator postojanja strukturne patologije u glavi, jer se

• Lekar na specijalizaciji iz neurologije na Odeljenju neurologije Kliničke bolnice u Foči od januara 2002. do septembra 2002. godine, a od septembra 2002. do novembra 2006. u Institutu za neurologiju Kliničkog cetra Srbije.

• Od novembra 2006. do juna 2007. godine istraživač na međunarodnim kliničkim studijama lekova za multiplu sklerozu pri Institutu za neurologiju Kkliničkog centra Srbije.

• Od juna 2007. do danas specijalista neurologije u Domu zdravlja “Dr Ristić” - članici Medigroupe

Član je: Lekarske komore Srbije, Društva neurologa Srbije, Evropske fedreacije neuroloških društava, Srpskog somnološkog društva, Nacionalnog udruženja za glavobolje Srbije.

Do sada publikovana tri naučna rada u međunarodnim i domaćim stručnim i naučnim časopisima. Više publikovanih radova na domaćim i stranim međunarodnim kongresima.

Posebne edukacije u okviru specijalnosti:

• 2003. godine jednomesečna edukacija na Klinici za neurologiju, Univerzitet u Hajdelbergu, Nemačka, kao stipendista TEMPUS projekta.

• 2008. godine završena Nacionalna škola za neuroangiologiju pri Medicinskom fakultetu u Beogradu

• 2012. godine završena Evropska škola za glavobolje u Beogradu.

U Kući zdravlja (Republika Srpska) obavlja: neurološke preglede, Dopler ultrazvučne preglede krvnih sudova vrata (CDS MAV ili Dopler MAV), Dopler ultrazvučne preglede krvnih sudova mozga (TCD ili TCCD), transkranijalnu ultrasonografiju parenhima mozga (TCS)

UVOD
66 NMK

SNOOP4 (Dodick 2010)

Sistemski simptomi (S) Povišena temperatura, noćna znojenja, bolovi u mišićima, gubitak težine, istorija maligniteta, stanje imunosupresije

Neurološki simptomi (N) Unilateralna slabost, diplopija, poremećaji hoda, govora, promene ličnosti

Nagli početak (O) Iznenadan jak bol

Početak posle 50. godine (O) Prva glavobolјa u kasnom životnom dobu

Promena obrasca glavobolјe i progresija iste (P)

Provokacija glavoblјe Valsalvinim manevrom (P)

Pogoršanje glavobolјe promenom položaja tela (P)

Pogoršanje ranijeg obrasca glavobolјe

Glavobolјa provocirana kašlјem ili naporom

Pogoršanje glavobolјe pri ležanju

Edem papile očnog nerva (P) Prolazne opskuracije vida, duple slike, ispadi u vidnom polјu

samo analizom simptoma ne mogu pouzdano diferencirati primarne od sekundarnih glavobolјa. Normalan neurološki nalaz kod pacijenta sa glavobolјom redukuje rizik od ozbilјne intrakranijalne patologije za 50%.

Koji su obrasci glavobolјa, koji mogu ukazivati na uzroke opasne po život pacijenta?

Navode se sledeći obrasci glavobolјa: glavobolјa poput udara groma, poziciono zavisna glavobolјa, glavobolјe udružene sa izmenjenim neurološkim nalazom i glavobolјe kod posebnih populacija, kao što su trudnice, osobe sa malignitetom, imunokompromitovane osobe i osobe starije od 50 godina.

Glavobolјa poput udara groma

Ovakva vrsta glavobolјe je ona koja najviše zabrinjava jer je često povezana sa postojanjem subarahnoidalne hemoragije (SAH), čija je smrtnost i pored svih preduzetih mera i dalјe jako visoka. Međutim, SAH je samo jedan od mogućih uzroka ovakve prezentacije glavobolјa. Postoje i drugi uzroci, koji takođe mogu biti više ili manje životno ugrožavajući. Ti razlozi su: reverzibilni cerebralni vazokonstrikcioni sindrom (RCVS), tromboza cerebralnih venskih sinusa (CVST) i arterijska disekcija.

Glavobolјa

kod SAH

Dostiže maksimum intenziteta unutar jednog sekunda kod većine pacijenata i zato se zove i apoplektička glavobolјa. Preko 80% pacijenata sa SAH dostiže maksimum do jednog minuta. Drugi simptomi i znaci od značaja kod ove vrste glavobolјe su: potilјačna lokalizacija, probadajući karakter bola i prisustvo meningizma.

Definisano je kliničko pravilo odlučivanja koje se zove Otava SAH pravilo odlučivanja, na osnovu koga se procenjuje rizik da li je neka akutna, netraumatska glavobolјa, koja dostiže maksimum inten-

ziteta unutar jednog sata, a pri tome je bez poremećaja stanja svesti, bez fokalnog neurološkog deficita i ranije istorije krvarenja u glavi, uzrokovana subarahnoidalnom hemoragijom ili ne. Na osnovu Otava SAH pravila lekar mora da definiše prisustvo ili odsustvo sledećih karakteristika: starost veća od 40 godina, bol u vratu, ukočenost vrata, ograničena fleksija vrata, apoplektički početak glavobolјe, početak glavobolјe tokom fizičkog napora, gubitak svesti u bilo kom trenutku. Odsustvo svih ovih karakteristika ima senzitivnost i negativnu prediktivnu vrednost od 100% da isklјuči subarahnoidalnu hemoragiju. Postojanje ovog pravila, naravno, ne znači da kod ovakvih pacijenata ne treba hitno uraditi nativni CT endokranijuma, koji ima 100% senzitivnost i specifičnosti za SAH, ako se uradi unutar 6 sati od početka glavobolјe. Nakon perioda od 6 sati senzitivnost CT endokranijuma da otkrije SAH opada postepeno. Ako je CT negativan razmatra se mogućnost lumbalne punkcije (LP), čija senzitivnost je lošija unutar 2 sata od početka tegoba, a počinje da raste nakon 6 sati od početka tegoba. Preporučuje se da se LP uradi kod pacijenata sa negativnim CT pregledom glave 6 sati posle početka glavobolјe.

Reverzibilni cerebralni vazokonstrikcioni sindrom (RCVS)

Ovaj sindrom treba da se razmatra kod svakog pacijenta koji ima glavobolјu poput udara groma, posebno ako se ponavlјa. Početak glavobolјe može biti veoma brz, kao kod SAH, ali traje kraće od 1 do 3 sata. Između pogoršanja jake glavobolјe, postoji umerena konstantna glavobolјa. Bol je lociran potilјačno, obostrano, na samom početku, kasnije postaje difuzan. Može biti provociran Valsalvinim manevrom. U polovine pacijenta postoji istorija korišćenja vazoaktivnih lekova ili supstanci. Postpartalni period je period kada se češće javlјa. Žene su u većem riziku da dobiju ovaj sindrom.

U kliničkoj slici, pored glavobolјe, mogu postojati fokalni neurološki ispadi i epileptični napadi. RCVS može uzrokovati ishemijski ili hemoragijski moždani udar, kao i fokalnu SAH u sulkusima mozga na konveksitetu hemisfera. Iako 55% pacijenata ima normalan nalaz MR mozga na početku, na ponovlјenim snimanjima se kod 39% uočavaju infarkti mozga, kod 34% SAH na konveksitetu, kod 20% lobarna hemoragija i kod 38% edem mozga sa promenama u beloj masi mozga koje liče na sindrom posteriorne reverzibilne encefalopatije (PRES).

Kod ovakvih pacijenata tipična radiološka slika je segmentna vazokonstrikcija arterija, koja počinje na arteriolama i tokom 14 do 16 dana zahvata grane srednje moždane arterije. Zato je u inicijalnom sagledavanju bitno da se uradi digitalna supstrakciona angiografija (DSA), kojom se u u najranijoj fazi otkrivaju pomenute vazokonstriktorne promene arterija. Senzitivnost i specifičnost CT angiografije ili MR angiografije je oko 70% senzitivnosti DSA.

Tromboza venskih sinusa mozga (CVST)

Početak glavobolјe je najčešće subakutan, ali u manjini slučajeva može biti apoplektičan. Bitno je uočiti faktore rizika za nastanak venske tromboze mozga, a to su: hiperkoagulabilno stanje, povreda glave, korišćenje oralnih kontraceptiva sa estrogenom, malignitet, trudnoća i puerperijum.

U zavisnosti od lokacije tromba klinička slika se može razlikovati. Ako su zahvaćene kortikalne i duboke vene mozga mogu da nastanu ishemijski i hemoragijski infarkti mozga, praćeni fokalnim neurološkim ispadima, epileptičkim napadima i poremećajem stanja svesti. Okluzija venskih sinusa dovodi do povećanja pritiska likvora, glavobolјe i edema papile očnog nerva. Prilikom snimanja bilo CT, bilo MR-a potrebo je imati uvidu da venski uzrokovani infarkti ili hemoragije mozga ne prate tipične zone vaskularizacije mozga te da se na MR glave vidi rani perihematomalni edem, koji sugeriše venski uzrok hemoragije. Neophodno je uraditi MR ili CT venografiju, radi lokalizacije tromba, mada se i na nativnom MR snimku tromb pojavlјuje kao hiperintenzivan signal na T1 i T2 sekvencama.

Arterijska disekcija

Ovo je još jedna dijagnoza, koja se mora razmatrati kod osoba sa naglo nastalom glavobolјom, posebno ako je glavobolјa nastala nakon traume ili napora. Arterijska disekcija mnogo češće zahvata vratne segmente karotidnih i vertebralnih arterija, nego intrakranijalne.

67 NMK

Disekcija karotidne arterije manifestuje se jednostranom glavobolјom. Glavobolјa je uvek na strani disekcije arterije. Takođe se javlјa bol u oku sa strane disekcije, bol u licu, a česti su i fokalni neurološki ispadi,kao što su tranzitorni ishemični ataci, moždani udar, istostrani Hornerov sindrom, prolazni gubitak vida na istostranom oku, pulsatilni šum u ušima i poremećaj ukusa.

Disekcija vertebralne arterije manifestuje se jednostranom ili obostranom potilјačnom glavobolјom, ali glavobolјa može biti i difuznija. Fokalni neurološki ispadi mogu biti prolazni ili trajni i obuhvataju: delimični ili kompletni Valenbergov sindrom, ispade u vidnom polјu, deficite kranijalnih nerava, kao i mučninu i povraćanje.

Pošto se disekcije često javlјaju kod mlađih osoba sa glavobolјom, koje često imaju i migrenu, može doći do otežane diferencijalne dijagnoze migrenskog ataka i glavobolјe posebno kod disekcije karotidne arterije. Ovde je detalјan neurološki pregled od najvećeg značaja da se ne propusti dijagnoza disekcije. Ovo utoliko pre jer se Hornerov sindrom sreće i kod osoba sa migrenom.

U dalјoj dijagnostici prednost ima MR dijagnostika, posebno MR angiografija sa supresijom masti, kojom se mogu otkriti diskretne subadventicijalne disekcije sa detekcijom tromba u lažnom lumenu krvnog suda.

Pozicione glavobolјe Glavobolјe, koje se pojavlјuju sa promenama položaja tela mogu ukazivati na promene pritiska likvora kao mehanizam koji dovodi do bola u glavi. Mogući su veoma ozbilјni uzroci ovih glavobolјa. Ovakve glavobolјe se javlјaju i u slučaju porasta pritiska likvora, kao i slučaju smanjenja pritiska likvora.

U slučaju povećanog intrakranijalnog pritiska (IKP) glavobolјa se pogoršava ujutro na buđenju, udružena je sa mučninom, pojačava se na Valsalva manevre, i pojačava se pri ležanju.

Tabela 3:

Kod pacijenata sa smanjenjem intrakranijalnog pritiska dešava se upravo suprotno. Tipično je da se pojavlјuju kada pacijent ustaje iz ležećeg položaja, a smanjuju se kada legne.

Nije jednostavno izdiferencirati anamnestički glavobolјe zbog promene intrakranijalnog pritiska od nekih primarnih glavobolјa, posebno od migrene. Jedna od karakteristika migrene je da se već postojeća glavobolјa pojačava sa bilo kakvom fizičkom aktivnošću, nezavisno do položaja tela. Takođe, jutarnje glavobolјe, na buđenju često se javlјaju kod migrene, ali i kod nekih drugih uzroka glavobolјe, kao što je opstruktivna apnea u snu.

Glavobolјe usled povišenog intrakranijalnog pritiska

Uzroci glavobolјe usled povišenog intrakranijalnog pritiska mogu biti tumori ili druge ekspanzivne lezije u glavi, CNS infekcije i hidrocefalus različite etiologije. Svi navedeni uzroci su životno ugrožavajući. Postoje i uzroci ovih glavobolјa, koji nisu životno ugrožavajući, ali mogu dovesti do trajnih funkcionalnih posledica, kao što je idiopatska intrakranijalna hipertenzija, koja nelečena dovodi do slepila.

U dijagnostičkom sagledavanju radi se odmah inicijalni CT pregled endokranijuma, koji daje klјučne podatke o tome da li postoje životno ugrožavajuća stanja, kao što su hidrocefalus, ekspanzivne lezije, difuzni edem mozga ili cerebralna venska tromboza. Dijagnostika hidrocefalusa putem imidžinga nije uvek jednostavna, jer stvarni efekat viđenog hidrocefalusa, zavisi od stepena moždane atrofije i zapremine likvora. Anamnestičko razumevanje celokupnog zdravstvenog stanja pacijenta dosta je bitno u dijagnostici, jer se mogu uočiti stanja, koja dovode do povišenog IKP. U Tabeli 3 navedena su najčešća stanja povezana sa povišenim intrakranijalnim pritiskom, a u zavisnosti od nalaza hidrocefalusa na imidžing studijama:

U dijagnostičkom sagledavanju ovih glavobolјa jako je važan pregled fundusa,

Glavni uzroci povišenog intrakranijalnog pritiska Uzroci

Opstruktivni hidrocefalus Ekspanzivne lezije tipa tumora, apscesa ili zapalјenjskih granuloma

Neopstruktivni hidrocefalus Neadekvatna resorpcija likvora usled zapalјenja, hemoragije u subarahnoidalnom prostoru ili opstrukcije duralnih venskih sinusa

Difuzni edem mozga CNS infekcije, hipoksemičko oštećenje mozga, metabolički poremećaji (hiponatremija, hiperamonijemija)

Normalan nalaz imidžinga Idiopatska intrakranijalna hipertenzija

odnosno otkrivanje postojanje edema papile očnog nerva. Odsustvo edema papile očnog nerva ne isklјučuje mogućnost postojanja povišenog intrakranijalnog pritiska, posebno u slučajevima akutnog rasta. U ovom slučaju potrebno je da se uoči da li postoje spontane venske pulsacije na papili. Nјihovo odsustvo ukazuje na postojanje povišenog IKP, bez obzira na odsustvo edema papile očnog nerva.

Glavobolјe usled sniženog intrakranijalnog pritiska

Snižen intrkranijalni pritisak nastaje spontano,posebno kod osoba sa sistemskim bolestima vezivnog tkiva, zatim kao posledica traume ili u jatrogeno kao posledica procedura kao što su lumbalna punkcija, epiduralna anestezija, operativnih intervencija na bazi mozga, zoni uva, grla, nosa ili kičmi.

Klјučan simptom je ortostatski zavisna glavobolјa. Pridruženi simptomi su bol u vratu, mučnina, vrtoglavica, nestabilnost, tegobe sa sluhom i zujanje u ušima. Inicijalni neuroimidžing može biti normalan, ali se MR mozga sa MR angio i venografijom definišu nalazi koji ukazuju na smanjenje intrakranijalnog pritiska kao uzrok glavobolјe. Ti nalazi se definišu kao major i minor kriterijumi. U major kriterijume spadaju: prebojavanje moždanih opni, uvećanje venskih sinusa i prebojavanje supraselarne cisterne.

U minor kriterijume spadaju: subduralna kolekcija likvora, prebojavanje prepontine cisterne i redukovana mamilopontina distanca.

Glavobolјe sa izmenjenim neurološkim nalazom

Postojanje izmenjenog neurološkog nalaza kod osobe koja se javlјa na pregled zbog glavobolјe uvek budi sumnju na ozbilјan sekundarni uzrok glavobolјe. Međutim, neophodno je znati da i migrena, kao osnovna primarna glavobolјa, može biti udružena sa hemiparezom, hemianestezijom, znacima deficita moždanog stabla, ispadima u vidnom polјu i drugim izme-

Dalјa evaluacija

Prema sistemskim malignitetima i imunosupresivnim stanjima

Prema sistemskim zapalјenjskim poremećajima, imunosupresivnim ili hiperkoagulabilnim stanjima

Ispitati rizik faktore za CNS infekcije, sagledati postojanje imunosupresije, kao i elektrolitni disbalans

Faktori rizika kao što su godine, pol, gojaznost i izlaganje pojedinim medikamentima

68 NMK

nama u neurološkom nalazu. O ovakvim situacijama dijagnoza migrene je dijagnoza koja se postavlјa na samom kraju, kada se dodatnim dijagnostičkim procedurama isklјuče svi drugi uzroci koji mogu biti povezani sa izmenama u neurološkom nalazu.

Kod postojanja fokalnog neurološkog deficita i glavobolјe, prva asocijacija je svakako moždani udar. Poznato je da su intracerebralne hemoragije i hematomi povezani sa glavobolјama i da je to praktično stalno prisutan simptom, ali potrebno je napomenuti i da kod ishemijskog moždanog udara glavobolјa može biti simptom, kod oko 15% pacijenata. Glavobolјa se ne javlјa kod lakunarnih udara. Značajno je češća kod ishemija u nivou malog mozga. Kao faktori rizika navode se ženski pol, ranije postojanje migrene i mlađa životna dob. Kada imamo pacijente sa glavobolјom, mučninom, vrtoglavicom i osećajem nestabilnosti u neurološkom nalazu je potrebno posebno obratiti pažnju na pregled malog mozga, upravo zbog navedenog.

Akutno nastala konfuznost, izmena stanja svesti,praćeni glavobolјom uvek bude sumnju na infekcije CNS-a, kao što su pre svega virusni encefalitisi, ali i na stanja povezana sa rastom IKP.

U ovoj grupi glavobolјa dodatna dijagnostika je bazirana pre svega na CT pregledu mozga, detekciji krvarenja, ranih znaka ishemije, i definisanju kandidata za trombolitičku terapiju ili invazivnu mehaničku trombektomiju. U slučaju sumnje na CNS infekciju klјučna je inicijacija rane antibiotske i antivirusne terapije, bez čekanja rezultata dopunskih pregleda u koje, pored neuroimidžing procedura, spada pre svega analiza likvora.

Glavobolјe u posebnim grupama pacijenata

Posebna pažnja se mora preduzeti kada se sagledavaju pacijenti sa glavobolјom, a pri tome se radi o trudnicama, osobama koje su imunokompromitovane, imaju istoriju maligne bolesti ili se radi o starijim osobama od 50 godina.

Glavobolјe u trudnoći

Prvo pitanje koje postavlјamo kada srećemo trudnicu sa glavobolјom jeste da li je imala glavobolјe i pre trudnoće. Drugo pitanje od značaja kakav je sadašnji obrazac glavobolјe, odnosno da li se razlikuje od ranijih. Ovo je bitno jer potrebno je znati da 83 do 87% osoba sa migrenom, koje ostaju u drugom stanju, pokazuje napredak u pogledu migrenskih ataka u drugom i trećem trimestru trudnoće, dok je taj procenat u prvom trimestru svega 47%.

Dakle migrene se mogu nastaviti i u prvim mesecima trudnoće.

Međutim, pojava nove, do tada nezabeležene glavobolјe, kao i promena obrasca dosadašnjih glavobolјa kod trudnica budi sumnju na postojanje sekundarnih uzroka glavobolјa.

Potrebno je znati da trudnice koje imaju migrenu imaju veći rizik za eklampsiju. Drugi ozbilјni uzroci sekundarnih glavobolјa u trudnoći su: tromboza venskih sinusa mozga, reverzibilni cerebralni vazokonstrikcioni sindrom, posteriorna reverzibilna encefalopatija, intrakranijalna hipotenzija, pneumocefalus, posebno nakon procedura kao što su epiduralna anestezija, subarahnoidalna hemoragija, arterijska disekcija, moždani udar i pituitarna apopleksija. Hipertenzija tokom trudnoće ukazuje na moguću preeklampsiju, ali zahteva i ispitivanje kao stanjima kao što su PRES i RCVS, jer ista mogu dovesti do ishemijskog ili hemoragijskog moždanog udara. Postojanje ispada u vidnom polјu kod trudnice budu sumnju na pituitarnu apopleksiju kao uzrok glavobolјe.

Glavobolјe kod imunosuprimiranih pacijenata

Ovakvi pacijenti kao uzrok glavobolјe imaju infekcije CNS-a. U ovu grupu pacijenata spadaju osobe sa HIV-om, malignim bolestima, kao i pacijenti koji koriste imunosupresivnu terapiju. Uzroci su bakterije, virusi, paraziti, glјivice, koji dovode do infekcije bilo moždanih opni, bilo mozga, pa čak i do formiranja ekspanzivnih formacija, kao što su subduralni empijem, apsces mozga i granulomi. Ovakve glavobolјe su najčešće akutne.

Hronične glavobolјe nastaju u ovom slučaju usled infekcija spororastućim patogenima kao što je glјivica Cryptococcus ili tuberkulozna infekcija CNS-a.

Glavobolјe kod pacijenata sa poznatim malignitetima

Ovde je klјučno odmah uraditi snimanje glave da bi se isklјučile metastaze na mozgu. Tumori koji najčešće daju metastaze na mozgu su tumori dojke, pluća, bubrega i maligni melanom.

Osim postojanja metastaza kod osoba koje imaju glavobolјu i malignu bolest potrebno je u dijagnostičkom postupku obratiti pažnju na postojanje cerebralne venske tromboze i ishemijskog moždanog udara jer je poznato da sistemski malignitet predstavlјa stanje hiperkoagulabilnosti.

Ako kod pacijenta sa glavobolјom i poznatim malignitetom imamo normalan imidžing neophodna su ispitivanja sedi-

menta likvora radi isklјučenja stanja koje se zove meningealna karcinomatoza.

Glavobolјe kod starijih osoba

Svaka nova glavobolјa kod osoba starijih od 50 godina zahteva ispitivanje ka vaskularnim ili onkološkim razlozima glavobolјe.

Na ovom mestu ćemo pomenuti gigantocelularni arteritis kao osnovni uzrok glavobolјe koji se mora isklјučiti ili potvrditi kod starijih osoba, jer je nelečen povezan sa akutnim gubitkom vida. Glavobolјa je konstantna, jednostrana ili obostrana temporalna, otporna na analgetike. Prisutna je osetlјivost skalpa, bol u vilici, prolazni gubici vida i sistemski simptomi kao što su povišena telesna temperatura, gubitak težine, mijalgije. Prilikom pregleda uočava se jasno uvećana, tvrda, napeta, ponekad čvornovata superficijalna temporalna arterija. Definitivna dijagnoza se postavlјa biopsijom arterije, a kao značajni parametri koji ukazuju na ovo stanje nalaze se jako povišena sedimentacija, kao i CRP, te nalaz Dopler ultrazvuka temporalnih arterija, gde se pored okluzije, vidi i hipoehogeni halo oko arterije, kao znak inflamacije. Ovde je takođe zbog prevencije gubitka vida potrebno brzo delovati u terapijskom smislu, davanjem visokih doza kortikosteroida.

ZAKLJUČAK

U procesu dijagnostike glavobolјa klјučni su konzistentna i sistemska primena anamneze i neurološkog pregleda da bi se diferencirale primarne od sekundarnih glavobolјa i da bi se uočili simptomi, znaci i stanja, koji predstavlјaju tzv. “crvene zastavice” glavobolјa, što nam ukazuje na potrebu obaveznog dalјeg i što efikasnijeg ispitivanja. SNOOP4 koncept omogućuje brz i sistemski pristup analizi postojanja mogućih “crvenih zastavica”. Neurološki nalaz i dalјe ostaje klјučan za identifikaciju slučajeva glavobolјa koje mogu biti životno ugrožavajuće i zahtevaju brzu dalјu dijagnostiku.

Od sekundarnih uzroka glavobolјa daleko najveći rizik za preživlјavanje nosi subarahnoidalna hemoragija (SAH). Nešto manji rizik nose stanja kao što su: reverzibilni cerebralni vazokonstrikcioni sindrom (RCVS), povišen intrakranijalni pritisak (IKP), cerebralna venska tromboza (CVST), arterijska disekcija, infekcije CNSa i inflamatorni vaskulitisi.

Posebna pažnja treba da se obrati na osobe sa glavobolјom koje su trudne ili su u puerperijumu, koje su imunokompromitovane, imaju poznatu malignu bolest i starije su od 50 godina.

69 NMK - prikaz knjige

Knjigokaz (Engl. blurb) je nova reč koja se odnosi na kratak tekst koji ukratko opisuje publikovano delo, a nalazi se na stražnjim koricama knjige. Vredi napomenuti da je reč BLURB kreirana u Americi početkom dvadesetog veka, ali ona danas ima i šire značenje. Primarno značenje reči BLURB odnosi se na kratko obaveštenje o sadržaju dela, a da se istovremeno podstakne interes kupca za knjigu koju osoba drži u ruci. Taj tekst sastavlja autor dela, izdavač ili poznat stvaralac, npr. književnik, naučnik ili dobar poznavalac područja iz kog je objavljena knjiga. Na korici se često objave tri do četiri teksta, a ređe samo jedan. Autor knjigokaza se potpisuje.

Kada se osoba zainteresuje za neku knjigu i u knjižari je uzme u ruke, ona je često okrene i pogleda stražnje korice s namerom da pročita knjigokaze. Međutim, na nekim našim knjigama ne postoje baš nikakve poruke i tako se kupac, ako mu je delo nepoznato, drugačije snalazi; neki je otvore i listaju. Zato autori i izdavači vode računa da se na stražnjim koricama ispisuje kratak tekst s obaveštenjem o sadržaju i kvalitetu knjige. Tekst jednog knjigokaza ne treba da je duži od 150 reči. Najbolji je veoma kratak, efektan tekst. Loše sastavljen tekst knjigokaza više šteti nego što koristi. Viđao sam da korice nekih naših knjiga sadrže opširan segment iz knjige, a nekada kompletnu pesmu koja je, među ostalim, objavljena u knjizi. Međutim, dobar knjigokaz može toliko podsticati kupce da prosečno književno delo postane bestseler.

Neki izdavači i/ili autori postavljaju dugačak segment recenzije na stražnje korice. Takav knjigokaz više odbija nego što privlači osobu, jer teže dolazi do informacije o delu. U principu, recenzije knjige se pišu na zahtev izdavača kako bi se osigurao o njenom kvalitetu i doneo odluku da publikuje to, mahom stručno, delo. Zato recenziju ne treba publikovati u knjizi niti na stražnjim koricama da posluži kao knjigokaz. Kada se objavi knjiga, o njoj se pišu prikazi tog dela ili se samo u dnevnoj štampi ili drugim informativnim medijima objavljuje obaveštenje o novoj knjizi. Ove tri vrste saopštenja koja se odnose na knjigu (recenzija, prikaz knjige i informacija o knjizi) kod nas su doskora, a ponekad i danas, mnogima bila nejasna i zato postoje nedoumice. Nažalost, nekim od naših jezičkih stručnjaka te razlike su i danas nejasne. O prikazu knjige i informaciji o knjizi vredi pročitati članak Bojane Petrić, objavljen u časopisu Scripta Medica, Banja Luka (2010;41:94-96).

Kako doći do nove reči

jeziku – putokaz, igrokaz, v(j)etrokaz i da je prilično sveobuhvatna za ono o čemu se u knjizi kazuje“. Želeli smo da u kreiranje reči uključimo i komisiju Odbora za standardizaciju srpskog jezika. Nažalost, Komisija nije dala dodatni predlog niti prihvatilia bilo koji naš; proizlazi da većina članova komisije smatra da nema potrebe da se načini zajednički naziv za različite podatke koji se na koricama naših knjiga nalaze.

Do naziva knjigokaz došla je grupa od dvadesetak lekara Sekcije za humanost, umetnost i kulturu Društva lekara Vojvodine SLD i niz mojih prijatelja (Silva Dobrić, Ranko Škrbić, Slavica Žižić Borjanović, Miroslav Jerinić, Katica Kulavkova, Dragica Raković, Dušan Savić, Liljana Sokolova, Zoran Ivanović, Stanko Stojiljković, Milorad Žikić, Srđan Milovanović, Vladimir Kojović, Vineta Vuksanović i drugi). Od desetak predloženih naziva za BLURB, izabrali smo najprogodniji. Većina je predloga u skladu sa strukturom srpskog jezika, mada neki nisu izražavali suštinu. Jezički stručnjak Rada Stijović kaže: “Reč je načinjena po modelu koji postoji u našem

бан, Вука Караџића), љубавне лирике домаћих и

светских песника, еротских прича-цртица из свакодневног

живота, ликовног и научног наративног обрасца. Ерос, покретач

новог живота, код Римљана познат као Купидон, константно је

присутан међу нама. Аутор се потрудио да не остане прикривен, а његово казивање, без имало сумње, заокупи пажњу сваког

горљивог читаоца. Душан Савић

Из пера академика Рајка Игића, лекара, песника и есејисте,

долази изузетно занимљива књига, јединствен спој науке, умет-

ности и истинитих исповести на тему еротике. Она ће вам

помоћи да детаљније упознате интимне делове свог тела (Увод)

и препознате његове поруке (Пролог), подсетиће вас на сопстве-

на еротска искуства или вам открити нова (Еротска казивања) и

натерати вас да након ишчитавања песничких и ликовних

сегмената, размислите о пролазности живота (Епилог).

У сваком случају, ово је књига која никога неће оставити равно-

душним.

Ovaj primer traženja nove reči u srpskom jeziku pokazuje da nije lako prevazići našu rigidnost, uključujući i najbolje jezičke stručnjake koji pri uvođenju novog izraza umesto engleskog, pokazuju uzdržanost ili nezainteresovanost. Nije čudo što u naš jezik lako prodiru strane reči. Ako ovako nastavimo, koristićemo još više tuđih reči.

Zato je naša grupa, koja se bavi i publikovanjem, našla pogodnu domaću reč i tako dala primer mnogima koji govore srpski kako da postupaju ako se ukaže potreba za stvaranje nove reči ili izraza.

Primer knjigokaza sam uzeo sa korica moje knjige jer mi je pri ruci.

Рајко Игић

Проф. др Силва Добрић

Страствена жудња за Другим (Ерос), обожавање Другог (Агапе) и

пријатељска љубав (Филија) не морају, али могу, бити одвојене.

дискурс и моралне норме се мењају и одражавају се у

па и научном говору. Висока осетљивост поезије

чини је отвореном за све облике љубави. Израз може бити

мистичан, романтичан или натуралистички

Akademik Rajko Igić, Sombor
Рајко Игић ЕРОТСКЕ ВИЊЕТЕ
Др Рајко Игић не престаје да изненађује с новитетима писане речи. Веома ефектно спаја неколико различитих врста и форми. Еротске вињете представљају својеврстан укрштај народне еротске поезије (која неоспорно буди асоцијације на путену збирку Црвен
ЕРОТСКЕ ВИЊЕТЕ
Етички
књижевном,
провокативан, али то не мења чињеницу да је поезија уточиште љубави. О томе сведочи ласцивна народна поезија као и поезија једног Бертолда Брехта. Рајко Игић успоставља нови дијалог између научне и књижевне перцепције људске сексуалности. Оно што је с уживањем написано, нека буде с уживањем читано. Академик Катица Ћулавкова ISBN CMY Erotske vinjete_korice Rajko Igic.ai 1 21.6.2023. 12:33:04 71 NMK

Iove godine uspješno je realizovana XVI međunarodna ljetna škola o alkoholizmu. Održana je u Velom Lošinju u periodu od 9. do 11. juna 2023. godine, a u organizaciji Hrvatskog saveza klubova liječenih alkoholičara. Napominjemo da Hrvatski savez klubova ima značajnu podršku i državnu i lokalnu kao dio tradicionalnog pristupa i zasigurno najboljeg načina da se zavisnici od alkohola bore sa svojom bolešću, da održe apstinenciju i očuvaju svoju porodicu. Takođe, kolege iz Slovenije imaju ovakvu vrstu podrške a naši klubovi u Republici Srpskoj i Bosni i Hercegovini su imali ovakvu vrstu podrške u periodu prije 90-tih godina prošlog vijeka. S obzirom na to da se 90-tih godina raspala mreža klubova u Bosni i Hercegovini trebalo je dosta vremena da se započne s rehabilitacijom i ponovnim osnivanjem klubova. Naš Klub liječenih alkoholičara Grada Banjaluka je uspješno osnovan tokom 2006. godine i ostvaruje zavidne rezultate u području svog djelovanja, prepoznat je u regionu i šire što je veliki uspjeh s obzirom na to da nam je podrška značajano zaostajala.

Ispred UKC-a Republike Srpske, Klinike za psihijatriju i Kluba liječenih alkoholičara Grada Banjaluka su ovom značajnom skupu prisustvovali: prof. dr sc. med. Nera Zivlak Radulović, psihijatar, diplomirani socijalni radnici Maja Tomanić, Dragoljub Marčeta i diplomirani psiholog Radomir Topić. Rad sa ovom populacijom podrazumijeva timski rad tako da naš tim zadovoljava ove standarde.

Značaj ove ljetne škole je što je okupila veliki broj stručnjaka iz ove oblasti i to psihijatara, socijalnih radnika, psihologa, socijalnih pedagoga, medicinskih sestara-tehničara i drugih stručnjaka koji se bave ovom problematikom. U rad su uključeni i članovi klubova liječenih alkoholičara i članovi njihovih porodica što ovoj školi daje poseban značaj. Posebno želimo da napomenemo da je zavisnost bolest cijele porodice te je promjena na nivou pojedinca uglavnom nedovoljna da se održi apstinencija i adekvatno liječenje. Članovi stručnog tima našeg kluba iz Banjaluke obučeni su za terapijski proces iz djelokruga rada sistemske porodične psihoterapije i primjenjuju ga u svakodnevnom radu.

Tokom rada na ovom skupu razmijenjena su iskustva u radu klubova za prethodni period i podijeljena

Međunarodni stručni skup u Velom Lošinju

Ljetna škola o alkoholizmu

Diplomirani psiholog Radomir Topić, diplomirana socijalna radnica Maja Tomanić, prof. dr Nera Zivlak Radulović i diplomirani socijalni radnik Dragoljub Marčeta

su iskustva u radu na preventivnim aktivnostima. Svaki od ovih klubova osim što radi na održavanju apstinencije članova, njihovoj resocijalizaciji i rehabilitaciji i njih samih, ali i njihovih porodica, radi i na preventivnim aktivnostima na ovom području, posebno kada su u pitanju mladi.

Naš tim na čelu prof. dr sc. med. Nere Zivlak Radulović se predstavio sa projektom koji sprovodimo već tri godine u vidu savjetovališta za mlade i roditelje pod naslovom”Kad imaš dilemu, pitaj”. Ovaj projekat nam je vrlo značajan jer je upravo on temelj rada sa mladima, poboljšanja komunikacija između roditelja i mladih i mogućnosti prepoznavanja i sprečavanja razvoja zavisnosti kod mladih od alkohola, dro-

ga, kocke i interneta. Rad je predstavila diplomirana socijalna radnica Maja Tomanić nakon čega smo imali brojna pitanja naših kolega o načinu rada sa mladima i roditeljima. Ono što nam je svima cilj je kako da u našim lokalnim zajednicama pomognemo mladima da ne krenu ovim putem, istovremeno radeći i sa roditeljima.

Pored izvrsnih predavanja, održane su i radionice s ciljem jačanja profesionalnih kompetencija te sprečavanja profesionalnog sagorijevanja što je posebno značajno sa aspekta da ovakva vrsta rada profesionalce može uvesti u sindrom sagorijevanja. Nadamo se da će i naše okruženje prepoznati značaj ovakve vrste rada sa zavisnicima od alkohola ali i drugih vrsta zavisnosti.

Pripremila: Prof. dr Nera Zivlak Radulović
NMK - stručni skupovi 72
NMK - stručni skupovi 73

Udruženje zdravstvenih profesionalaca Srbije, UZPS

III Međunarodni kongres Udruženja zdravstvenih profesionalaca Srbije UTICAJ PADEMIJE COVID 19 NA FUNKCIONISANJE

ZDRAVSTVENOG
OBRAZOVNOG SISTEMA
o r g a n i z u j e Rade Končara 71, 11080 Zemun, Srbija, Tel: 064/831 1008; Mob: 064/121 2347; 064/4775414 Web site: www.uzps.rs Sekretarijat - BBN Congress Management d o.o., Deligradska 9, 11000 Beograd, Srbija Tel: +381 11 3629405, 3629402, Mob: +381 66 80277 18 E-mail: bbn@bbn.co.rs, bbn.pco@gmail com, Web site: www.bbn.co.rs NMK - stru~ni skupovi 74
I
26-29.
oktobar 2023. godine, Hotel
Motavica,
Sokobanja, Srbija
NMK - stručni skupovi 75
NMK - stručni skupovi 76

Udruženje medicinskih sestara, tehničara i babica Republike Srpske

VI Kongres i XXII Simpozijum UMSTIB RS sa međunarodnim učešćem 06.06.- 09.06.2024. godine, BANJA LUKA

Plenarna tematika:

• Ko je medicinska sestra

• Gdje je nestala empatija

• Kako da povratimo i zadržimo kolegijalnost

• Sestrinstvo kompleksna profesija

Radionica: “ Šta i kako dalje”

Okrugli sto:” Sestrinska radna snaga jednim glasom do promjena”

Okrugli sto:” Medicinske sestre sledeće generacije “

Okrugli sto BAMS-a : “ Pravo vrijeme za pokretanje promjena” “Sestrinska profesija na Balkanu”

Slobodne teme

XXII Simpozijum UMSTIB Republike Srpske

“Ne idite tamo gdje vas put vodi, idite radije tamo gdje nema puta i ostavite trag.“

• Unapređenje kvaliteta zdravstvene njege

• Faktori koji utiču na zapošljavanje i zadržavanje medicinskih sestara na poslu

• Putevi karijere u sestrinstvu

Stručni odbor preporučuje poster prezentacije

http://www.umsit-bl.com/

„DOBRO RAZMISLITE ŠTO JE BILO I ŠTO ĆE JOŠ BITI.“
VAŽNI DATUMI : 30.03.2024. godine – ZAKLJUČENJE PRIJAVE RADOVA 15.04.2024. godine - POTVRDA O PRIHVATANJU RADA 10.05.2024. godine – PROGRAM I DRUGO OBAVJEŠTENJE
NMK - stručni skupovi 77

Druga škola akušerske anestezije Spašena su tri života Rijedak zahvat u Klinici vaskularne hirurgije UKC RS

Primjena novih tehnologija u Klinici za ortopediju i traumatologiju UKC RS

Nastavak saradnje sa eminentnim američkim hirurgom dr Igorom Miloševićem

Radni sastanak (video konferencija) Almazov Centrom, Rusija

Služen parastos za pet poginulih boraca VRS Farmakoterapijsko savjetovalište u UKC Republike Srpske

INFO BILTEN

Druga škola akušerske anestezije

dicinsko osoblje, tako i za pacijente“, rekao je prof. dr Vlado Đajić.

„Naša škola je u prvim dijelu završena sa setom teorijskih predavanja uz obradu različitih tema, ključnih za akušersku anesteziju i akušerstvo. Potom je sledio dvodnevni kurs ultrazvuka u anesteziologiji i intenzivnoj terapiji sa 50 polaznika. Praktično svi ljekari Klinike za anesteziju i intenzivno liječenje i gosti iz susjednih bolnica su bili stručno osposbljeni da koriste ultrazvuk za kritično oboljele pacijente i paci-

irane edukacije jer uvijek ima novih segmenata koje je potrebno savladati. Ova edukacija koja se organizuje u UKC Republike Srpske se sastoji iz dva dijela, prvi se odnosi na anesteziju iz oblasti porodiljstva, a drugi na primjenu ultrazvuka u anesteziji. Hvala domaćinima za izuzetno organizovan skup“, rekao je prof. dr Ivan Veličković, anesteziolog iz Njujorka.

„Drago mi je da sam danas u UKC Republike Srpske, te što imam čast da radim ovdje sa kolegama koji su motivisani i dobro eduko-

Udruženje anesteziologa i reanimatologa Republike Srpske i Klinika za anesteziju i intenzivno liječenje Univerzitetskog kliničkog centra Republike Srpske organizovali su “Drugu školu akušerske anestezije”. Prvi dio škole podrazumijevao je teoretski dio koji je održan od 09.06-10.06. 2023 godine, a u drugom dijelu, u periodu od 12.0615.06. organizovane su radionice iz epiduralne i spinalne analgezije\anestezije i Point of care ultrasonography (POCUS) kurs

Ovaj događaj bio je akreditovan prema pravilniku Komore doktora medicine RS, a oni koji nisu mogli prisustvovati, imali su priliku da, putem ZOOM linka, prate direktan prenos. Tehnička podrška organizaciji i uspješnoj realizaciji ovog skupa bila je agencija MedNet.

„Mi nastavljamo sa onim što je najbitnije, a to je edukacija kadra. Rijetko koja ustanova u Republici Srpskoj, u Bosni i Hercegovini, pa i u regionu se može pohvaliti s činjenicom da ju je posjetilo osam stručnjaka iz Amerike koji prenose svoja znanja i vrše edukaciju, a nakon toga i praktično primjenjuju znanja u liječenju naših pacijenata. Ponosan sam na svoje kolege i čestitam im. Takođe želim da se zahvalim uvaženim kolegama iz Amerike što su pronašli vrijeme, te uložili trud i iskazali želju da svoja znanja na svjetskom nivou prenesu na naše zaposlene, što je izuzetno važno kako za me-

jente koji zahtijevaju naš tretman. Želim da se zahvalim prof. dr Ivanu Veličkoviću iz Njujorka sa kojim sarađujemo više od sedam godina, koji nije prvi put ovdje i koji nam pruža podršku. Zahvaljujući njemu uspjeli smo da dovedemo eminentne stručnjake iz SAD-a na čelu sa prof. dr Klemensom Ortnerom sa Univerziteta Stenford. Hvala i generalnom direktoru koji nam je omogućio ovu vrstu edukacije koja je nastavak već ranije započetih edukacija“, rekao je dr Dragan Rakanović, načelnik Klinike za anesteziju i intenzivno liječenje.

„Ovih nekoliko dana osim edukacije imali smo priliku da vidimo kako se odvija liječenje u UKC Republike Srpske i možemo da kažemo da smo prijatno iznenađeni kvalitetom zdravstvene njege i stručnošću ljekara iz Banjaluke. Osim toga prijatno sam iznenađen uslovima i opremljenošću UKC Republike Srpske, te mogu da kažem da nema nikave značajne razlike između zdravstvenih ustanova u Americi i ove bolnice što se tog dijela tiče. Moram da naglasim da i ljekari iz Amerike konstantno idu na kontinu-

vani. Zadovoljstvo mi je da im prenesm znanje koje im može poslužiti u liječenju pacijenata. Hvala na pozivu da zajedno učimo i liječimo pacijente“, naglasio je prof. dr Klemens Ortner sa Univerziteta Stenford.

U toku Škole, učesnicima se obratio i ministar zdravlja i socijalne zaštite Republike Srpske, Alen Šeranić.

Dodatna praktična i teorijska obuka anesteziologa Republike Srpske po pitanju regionalne anestezije u značajnoj mjeri će doprinijeti sigurnijem i lakšem porodu, uz maksimalnu sigurnost majke pri porodu, te će se u velikoj mjeri poboljšati uslovi za sam čin poroda u Republici Srpskoj.

U organizaciji Klinike za anesteziju i intenzivno liječenje
informisanje UKC RS 80 INFO BILTEN
Pripremili: saradnici za

Spasena su tri života

Zahvaljajući multidisciplinarnom pristupu, stručnosti i vještinama naših medicinskih profesionalaca, te opremljenosti naše ustanove spašena su tri života u UKC Republike Srpske. Naime, riječ je o trudnici koja je upješno oporavljena od teškog otkazivanja pluća, te je na svijet u 32. nedjelji trudnoće donijela blizance. U 25. nedjelji trudnoće kod ove trudnice je došlo do teškog otkazivanja pluća, te je hitno zbrinuta u Klinici intenzivne medicine za nehirurške grane. U životu je bila održavana zahvaljujući mehaničkoj ventilaciji, nakon čega je zbog kompleksnosti njenog opšteg stanja priključena na VV ECMO aparat (venovenska ekstrakorporalna membranska oksigenacija) – „vještačka pluća“. Važno je naglasiti da su u medicinskoj literaturi izuzetno rijetko opisani ovakvi slučajevi. Nakon 14 dana liječenja u Klinici intenzivne medicine za nehirurške grane i potpunog oporavka trudnice, liječenje i briga o njoj su nastavljeni u Klinici za ginekologiju i akušerstvo. Zahvaljujući našim ginekolozima na svijet su uspješno došle dvije prijevremeno rođene bebe o kojima su nastavili da brinu naši pedijatri intenzivisti i pedijatri neonatalozi.

„Presrećan sam i ponosan što se u UKC Republike Srpske primjenjuje vrhunska medicina uz odlične stručnjake, najnovije aparate poput ECMO-a i dobru organizaciju. Zahvaljujem se svojim kolegama sa Ginekologije, Pedijatri-

je i Klinike intenzivne medicine za nehirurške grane kao i rukovodstvu Republike Srpske što je omogućilo kupovinu ovakvih aparata. Nijedan aparat nije skup koliko su skupi ljudski životi. Nastavićemo sa ulaganjem u opremu, te obučavanjem i edukacijom naših radnika, sve u cilju poboljšanja zdravlja i zdravstvenog sistema Republike Srpske“, rekao je prof. dr Vlado Đajić.

da je trudnica usred teškog otkazivanja pluća, hitno zbrinuta u ovoj klinici, te je u životu bila održavana zahvaljujući mehaničkoj ventilaciji, nakon čega je zbog kompleksnosti njenog opšteg stanja priključena na VV ECMO aparat (venovenska ekstrakorporalna membranska oksigenacija) - “vještačka pluća”. On je naglasio da su u medicinskoj literaturi izuzetno rijetko opisani ovakvi slučajevi. „Napravili smo takav iskorak u liječenju kritično bolesnih da savremena medicinska literatura rijetko to opisuje. Zrelost zdravstvenog sistema Republike Srpske upravo to i pokazuje, da smo došli na jedan nivo, da smo sazreli, da smo u korak sa vremenom i sa drugim zemljama koje su mnogo razvijenije i bogatije. Uspjeli da napravimo vrlo bitnu stvar u medicini, a to je multidisciplinarnost, da smo svi oko jednog pacijenta i da je pacijent u centru pažnje“, rekao je prof. Peđa Kovačević. On je naglasio da se venovenski ECMO (“vještačka pluća“) u UKC Republike Srpske radi od 2017. godine, te da na Zapadnom Balkanu postoje samo dva centra koja rade ovu vrstu procedure, UKC Republike Srpske i Institut za plućne bolesti u Sremskoj Kamenici.

„Jedan od razloga zbog kojih je naš posao toliko lijep jeste ovo današnje okupljanje i zbog ovakvih stvari se isplati boriti. Činjenica je da posjedujemo savremene aparate što se tiče dijagnostike u toku trudnoće i načina završavanja trudnoće, a nakon toga u visoko rizičnim trudnoćama ulogu preuzima multidisciplinarni tim i doprinosi dobrim rezultatima. Pacijentkinja je primljena u 20. nedjelji trudnoće sa pretećim pobačajem. U održavanju ove blizanačke trudnoće koja je sa sobom nosila pogoršanja učestvovali su kolege ginekolozi, medicinske sestre, infektolozi, pulmolozi, pedijatri, intenzivisti i zajednički smo donosili odluke na dnevnom nivou. Zahvaljujući kolegama iz Klinike intenzivne medicine za nehirurške grane spasen je njen život, a porođaj je uspješno završen carskim rezom sa 31 nedjeljom i 6 dana“, rekla je prof. dr Vesna Ećim Zlojutro

Načelnik Klinike intenzivne medicine za nehirurške grane prof. dr Peđa Kovačević je rekao

“Prije svega zahvalila bih se svim kolegama, ginekolozima, intezivistima na timskom radu i kolegijalnosti. Što se tiče beba moram da naglasim da su im pluća bila dobro razvijena s obzirom na životnu ugroženost majke. Po rođenju dobili su visok abgar skor tj. dobru ocjenu po rođenju. Nakon poroda primljeni su na Intenzivnu njegu više zbog opservacije. Djevojčica je bila teška 1 640 grama, a dječak je bio težak 1 560 grama. To je pristojna težina za gestacijsku nedjelju u kojoj su se nalazili. Bez obzira što je majka bila životno ugrožena, očigledno je bila dobro opskrbljena kiseonikom i svom potrebnom terapijom. Djeca svakim danom dobro napreduju i pod našim su nadzorom. Danas dječak ima 1 870 grama, a djevojčica 1 930 grama. Moram da naglasim da u medicinskoj literaturi ovakvi slučajevi nisu opisani, i mogu samo da kažem samo riječi hvale za moje kolege“, rekla je prim. mr sc. med. Ljilja Solomun, pedijatar- neonatolog.

Dragana Vučković koja ima 33 godine istakla je svoje zadovoljstvo za sve što je učinjeno za nju i njene bebe. „Želim da se zahvalim Bogu i svim doktorima u UKC Republike Srpske, posebno prof. dr Peđi Kovačeviću što je spasio život meni i mojim bebama, te dr Biljani Zlojutro i cijelom timu. Hvala i prof. dr Branki

Čančarević-Đajić koja me je porodila

i cijelo vrijeme brinula o meni, ljekarima iz Klinike za ginekologiju i akušerstvo, pedijatrima, te veliko hvala generalnom direktoru prof. dr Vladi Đajiću. Zahvaljujući svim doktorima sad se osjećam dobro. Bebe su sad dobro. Prva su mi djeca i zovu se Una i Željko. Samo da mi oni budu dobro, pa da što prije zajedno idemo kući“, naglasila je majka Dragana.

Podvig ljekara UKC Republike srpske
81 INFO BILTEN

Rijedak zahvat u Klinici vaskularne hirurgije UKC RS

Hirurški tim Klinike za vaskularnu hirurgiju izveo je vrlo složenu operaciju aneurizme trbušne aorte sa urođenom anomalijom - potkovičasti bubreg koji svojim položajem znatno otežava hirurški pristup aneurizmi. Složenost operativnog zahvata se ogleda u tome što se spojeni donji polovi oba bubrega nalaze neposredno ispred aneurizmatske vreće. Uz to problem predstavlja i očuvanje adekvatne vaskularizacije potkovičastog bubrega koji je pored fiziološki prisutne dvije renalne arterije imao i 2 akcesorne renalne arterije.

“Zahvaljujem se što ste danas u UKC Republike Srpske i što prisustvujete još jednoj pobjedi naše ustanove, i zdravstvenog sistema Srpske. Sa velikim zadovoljstvom i ponosom moram da kažem da je ovo postala jedna prestižna zdravstvena ustanova koja je u rangu sa evropskim i svjetskim zdravstvenim centrima . U prilog tome govori i ova operacija i činjenica da smo uradili jednu kompleksnu operaciju iz oblasti vaskularne hirurgije. Ova operacija je pokazatelj da imamo najbolje dijagnostičke aparate, najbolje operacione sale i najbolje medicinske profesionalce koji mogu da rade najkomplikovanije zahvate. Naša obaveza je da nastavimo dalje da unapređujemo rad naše ustanove i edukujemo naše zaposlene, a dr Maksiću i njegovom timu još jednom čestitam na ogromnom uspjehu”, rekao je prof. dr Vlado Đajić.

Primjena novih tehnologija u Klinici za ortopediju i traumatologiju UKC RS

Hirurški tim Klinike za ortopediju i traumatologiju UKC Republike Srpske je izveo operativni zahvat liječenja avaskularne nekroze glave butne kosti. Operativni zahvat je izveden kod osobe mlađe životne dobi kojoj je usljed istog oboljena urađena zamjena jednog kuka totalnom protezom. Na ovaj se način se pokušava spasiti drugi kuk i omogućiti bolji kvalitet života pacijenta.

„Radi se o udruženoj aneurizmi trbušne aorte sa Lerišovom bolesti. To je zatvoren završni segment trbušne aorte i krvnih sudova u maloj karlici. Operaciju je otežalo postojanje potkovičastog bubrega. Sve anomalije su otkrivene tokom operacije. Moram da pohvalim svoj tim mladih budućih vaskularnih hirurga. Imamo najbolje specijalizante u Kliničkom centru, veliki su talenti. Kompleksnost operacije ogleda se u tome što se potkovičasti bubreg javlja kod novorođenčadi, otprilike 1 slučaj u 500 do 600 novorođenčadi. Ovih dana smo u literaturi pokušali da pronađemo podatke o ovakvom zahvatu gdje je prisutan potkovičasti bubreg sa aneurizmom trbušne aorte i Lerišovom bolesti, ali nismo još uvijek uspjeli. Ovaj kompleksan zahvat smo relativno brzo uradili. Pacijent se odlično osjeća. Zahvaljujem se svom hirurškom timu, kao i timu anesteziologa i instrumentara. Zahvaljujem se generalnom direktoru na podršci. “, rekao je dr Milanko Maksić, načelnik Klinike za vaskularnu hirurgiju.

Avaskularna nekroza glave butne kosti je oboljenje koje nastaje usljed poremećaja vaskularizacije i propadanja kosti što ima za rezultat bolove u trajno oštećenje zgloba kuka, uzroci mogu biti različiti. Jedan od uzroka može biti i dugotrajna upotreba kortikosteroida. Operativni zahvat se sastojao od dekompresije koštane lezije i aplikacije BMAC (Bone marrow concentrate aspirate ).

BMAC se koncentrisani aspirat koštane srži koji sadrži visoku koncentraciju matičnih ćelija i aplikuje se na mjesto lezije kako bi se stimulisao proces oporavka i obnovila vaskularizacija glave butne kosti. Ovakav način upotrebe je najefikasniji jer se dobija direktno iz koštane srži. Ovakav vid upotrebe matičnih ćelija je prvi put primjenjen u UKC Republike Srpske i predstavlja zadnji trend u svijetu koji se primjenjuje kod liječenja koštanih lezija, degenerativnih oboljena kosti i zglobova, te sportskih povreda.

Operativni zahvat je izveo tim: dr Vladimir Anđić, asistent dr Jovica Čeko, te specijalizanti dr Slobodan Marjanović i dr Bojan Topić. Instrumentari Jelica Ristić, Igor Kajtaz i Danijel Bojić. Anesteziolozi dr Dragan Švraka, dr Vesna Tramošljika i dr Ivana Repajić.

82 INFO BILTEN

Nastavak saradnje sa eminentnim američkim hirurgom dr Igorom Miloševićem

Posjeta dr Igora Miloševića još jedan je od pokazatelja da su kontinuirana edukacija naših medicinskih profesionalaca i sticanje novih znanja i vještina prioritet Poslovodstva UKC Republike Srpske na čelu sa prof. dr Vladom Đajićem, sve u cilju pružanja što kvalitetnijih usluga našim pacijentima.

Prilikom ove posjete dr Miloševića, održan je radni sastanak sa generalnim direktorom prof. dr Vladom Đajićem tokom kojeg su se usaglasili planovi o odlasku naših ljekara na edukaciju u Sjedinjene Američke Države.

Zadovoljstvo nam je da Vas obavijestimo da je eminentni američki stručnjak dr Igor Milošević, specijalista opšte i robotske hirurgije iz bolnice St. Elizabeth Health Center iz Ohaja (SAD) ponovo u posjeti UKC Republike Srpske.

U sklopu ove posjete našoj ustanovi, dr Igor Milošević zajedno sa hirurškim timom iz Klinike za opštu i abdominalnu hirurgiju na čelu sa dr Goranom Janjićem 18 jula je izveo tri laparoskopske operacije. Riječ je o jednoj operaciji recidivantne hijatalne hernije (želučane kile) koja se prvi put radi u našoj ustanovi, a prilikom koje je korištena specijalna biološka mrežica i dvije laparoskopske operacije karcinoma debelog crijeva.

Radni sastanak (video konferencija) s Almazov centrom, Rusija

edukacije, učešću u zajedničkim projektima, liječenju naših pacijenata u Rusiji, mogućnostima učestvovanja u zajedničkim kliničkim studijama, projektima personalizovane medicine, tele-vizitama i konzilijumima….

21/07/2023. održan je radni sastanak poslovodstva UKC Republike Srpske sa Anastasijom Aleksadrovom Leonidovnom, načelnicom međunarodnog odjela iz Almazov Centra, Ru-

sija. (www.almazovcentre.ru).

U lijepoj i ugodnoj atmosferi na sastanku se razgovaralo o mogućnostima saradnje, odlasku naših ljekara i medicinskih sestara/tehničara na

Dogovoreno je da se početkom septembra 2023. godine održi video konferencija tokom koje bi se prezentovali konkretni prijedlozi za saradnju. Oblasti za saradnju su mnogobrojne, tako da će se period od jula do septembra iskoristiti za razmjenu informacija i fokusiranje na konkretne oblasti medicine koje su od interesa za obje strane.

83 INFO BILTEN

U UKC-u 3.8.2023.

Služen parastos za pet poginulih boraca VRS

Parastosu je prisustvovao veliki broj zaposlenih Univerzitetskog kliničkog centra Republike Srpske koji su zastali sa svojim svakodnevnim obavezama i odali počast svojim stradalim kolegama. Prije početka parastosa, tradicionalno je održan sastanak sa porodicama stradalih boraca, gdje se razgovaralo o njihovim problemima te im je uručena simbolična novčana pomoć.

Osim porodica, poslovodstva i Boračke organizacije UKC Republike Srpske kao i kolega, parastosu su prisustvovali i predstavnici Boračke organizacije Republike Srpske i Grada Banjaluka, predstavnici Unije sindikata u zdravstvu RS i predstavnici Ministarstva zdravlja i socijalne zaštite RS. Pored osveštavanja spomen-ploče prisutni su položili cvijeće i zapalili svijeće.

Prisutnima se obratio generalni direktor UKC Republike Srpske prof. dr sc. med. Vla-

do Đajić i rekao da su vrata naše ustanove porodicama poginulih boraca koji su za Srpsku dali ono najvrednije što su imali - život, uvijek otvorena i da ćemo sa njima uvijek dijeliti sve muke i probleme.

Goran Rogić je u ime Boračke organizacije Republike Srpske i Boračke organizacije Grada Banjaluka rekao da najmiliji sinovi – heroji Srpske nisu zaboravljeni i da ćemo prema njima uvijek pokazivati ljubav i poštovanje.

“Republika Srpska se nije mogla kupiti, već braniti i odbraniti, a više od 23.000 njenih boraca je za to dalo živote”, naglasio je Rogić.

Gina Čičić, čiji je dvadesetosmogodišnji brat Vlado kao radnik UKC-a poginuo 1993. godine kod Brčkog, kaže da se ovim odavanjem počasti pokazuje da njihova žrtva nije bila uzaludna i da sjećanje na njih neće izblijedjeti.

UUniverzitetskom kliničkom centru Republike Srpske je služen parastos za pet radnika ove zdravstvene ustanove koji su kao borci Vojske Republike Srpske poginuli u Odbrambeno-otadžbinskom ratu.

Služenjem parastosa, polaganjem cvijeća i paljenjem svijeća predstavnici boračkih organizacija, porodica poginulih i nestalih, predstavnici poslovodstva UKC Republike Srpske i radnici odali su počast svojim stradalim kolegama - borcima koji su učestvovali u stvaranju Republike Srpske.

84 INFO BILTEN

Farmakoterapijsko savjetovalište u UKC Republike Srpske

Novost u UKC

Odjeljenja za kliničku farmaciju i klinička ispitivanja Kliničke apoteke. U savjetovalištu rade klinički farmaceuti, koji za cilj imaju omogućavanje sigurne i efikasne upotrebe lijekova uz istovremeno smanjenje zdravstvenih troškova. Uloga kliničkog farmaceuta ogleda se i u osiguranju, razvoju i promociji racionalne i odgovarajuće primjene lijekova.

Ukoliko pacijenti imaju u terapiji više lijekova, neželjene reakcije na lijekove, ukoliko nisu postignuti terapijski ciljevi ili su pacijenti imali poteškoća s razumijevanjem i pridržavanjem terapijskog režima, ljekari pacijente mogu uputiti u Farmakoterapijsko savjetovalište.

Pacijenti se upućuju od strane ljekara specijalističkom uputnicom u Farmakoterapijsko savjetovalište UKC Republike Srpske, za uslugu farmakoterapijskog savjetovanja od strane kliničkog farmaceuta. Klinički farmaceut izrađuje farmakoterapijsko mišljenje koje će biti dostupno ljekarima i našim pacijentima.

Individualnu farmakoterapijsku obradu svakog pacijenta provodi klinički farmaceut u posebnoj prostoriji Kliničke apoteke (Farmakoterapijsko savjetovalište). Demografski podaci, podaci o komorbiditetima, lijekovima, neželjenim reakcijama, životnim navikama i alergijama prikupljaju se iz razgovora s pacijentom, a prema potrebi i iz razgovora sa članovima porodice i ljekarima. Dalje, u obzir se uzimaju svakako i laboratorijski nalazi i medicinska dokumentacija. Usluga farmakoterapijskog savjetovanja je oslobođena participacije za sve pacijente.

Saradnici za informisanje UKC RS

Republike Srpske je Farmakoterapijsko savjetovalište u okviru
85 INFO BILTEN

Svaki treći pacijent koji se javi na urološki pregled u bijeljinsku bolnicu ima problem sa kamenom u urinarnom sistemu, tvrde urolozi iz ove zdravstvene ustanove. Nabavkom opreme i saradnjom sa stručnjacima iz Vojnomedicinske akademije (VMA) u Beogradu, menadžment JZU Bolnica „Sveti vračevi“ Bijeljina omogućio je novu proceduru u liječenju kalkuloza, endoskopsku litotripsiju.

“Poznato je da su posljednjih godina internističke grane, posebno kardiologija, u našoj ustanovi podignute na značajno viši nivo, a prethodnih mjeseci podižemo kvalitet hirurških grana, ortopedije, gdje je u fazi nabavka novog savremenog, artroskopa, a mnogo toga će biti urađeno iz oblasti vaskularne hirurgije. Što se tiče urologije, jedan dio opreme je već nabavljen, a očekujemo da će stići i ostatak poručenog. Imao sam sastanak sa našim urolozima koji su se izjasnili šta im je potrebno od opreme da bi radili sve što se radi u našoj državi. Bijeljinska bolnica će nabaviti svu potrebnu opremu, a vjerujem da će i naši urolozi ispuniti svoja obećanja. Već duži vremenski period u našu ustanovu dolazi potpukovnik Mirko Jovanović, načelnik Odjeljenja za urolitijazu Klinike za urologiju Vojnomedicinske akademije iz Beograda, koji edukuje naš kadar za proceduru razbijanja kamena u urinarnim putevima. Plan je da razvijemo i druge operativne urološke metode i procedure i sasvim je izvjesno da će naši urolozi sarađivati sa najcjenjenijim stručnjacima u ovoj oblasti”, izjavio je prof. dr Zlatko Maksimović koji vjeruje da je pred bijeljinskom urologijom sjajna budućnost.

Do prije godinu dana bijeljinska bolnica nije imala mogućnosti za ade-

JZU Bolnica “Sveti vračevi” Bijeljina: Značajan iskorak u oblasti urologije

Endoskopske procedure u liječenju uroloških kamenaca i

kvatno liječenje pacijenata sa kamenom u urinarnom sistemu. Prema riječima bijeljinskih urologa liječenje se svodilo na smirivanje tegoba i uključivanje medicinske ekspulzivne terapije (MET) koja se primjenjuje kod malih

kamenaca, za koje se očekuje spontani izlazak iz mokraćnog sistema.

„Zahvaljujući menadžmentu bijeljinske bolnice, na čelu sa prof. dr Zlatkom Maksimovićem, prepoznate su potrebe pacijenata, kao i motiva-

86 INFO VIJESTI
saradnja sa vrhunskim urolozima-onkolozima

cija ljekara iz bijeljinske bolnice za usavršavanje i od prošle godine uvedena je nova procedura - endoskopska litotripsija. Mi smo prva bolnica opšteg tipa u Republici Srpskoj koja je uvela metodu razbijanja kamena sa laserskim litotriptorom. Za sada je izvodimo u predjelu mokraćne bešike i uretera. Plan je da do kraja godine nabavimo endoskopski set fleksibilnih uretero-renoskopa sa kojima ćemo biti u mogućnosti da rješavamo kalkuloze unutar bubrežnih čašica. Time bismo zaokružili liječenje pacijenata sa kalkulozom u našoj ustanovi”, kaže specijalista urologije iz bijeljinske bolnice dr Ljubinko Petković.

Za sada se endoskopska litotripsija u Bolnici “Sveti vračevi”, Bijeljina,

izvodi pomoću semirigidnog ureterorenoskopa najnovije generacije. Ovaj uređaj omogućava ulazak u mokraćnu bešiku i mokraćne kanale kroz prirodne otvore, bez hirurškog reza. Za razbijanje kamena koristi se laserski izvor energije, što daje mnogo bolje rezultate u odnosu na pneumatsku litotripsiju, tvrde bijeljinski urolozi.

“Laserske operacije ureteroskopom se svrstavaju u sam vrh endoskopske urologije i ove operacije se rade sporadično čak i u nekim drugim zemljama. U Bijeljini postoje svi uslovi da se ova procedura izvodi u punom obimu i na najsavremeniji način. Ovdje postoji obučeno osoblje koje već ima iskustva i vrlo malo vremena je potrebno da se kadar u ovoj ustano-

vi obuči za samostalan rad. Važno je istaći da postoji velika potreba za uvođenje endoskopske litotripsije u redovnu proceduru jer veliki broj pacijenata ima indikacije za ovu operaciju. Liste čekanja su do godinu dana u Beogradu, gdje sada dolazi dosta pacijenata iz Republike Srpske”, istakao je prim. dr Mirko Jovanović.

U saradnji sa cijenjenim urologom-onkologom iz Srbije prof. dr Predragom Aleksićem, načelnikom Klinike za urologiju beogradske Vojnomedicinske akademije, u narednih mjesec dana planirano je pokretanje novih operativnih procedura koje nisu do sada obavljane u Bolnici “Sveti vračevi” u Bijeljini, najavljuju iz rukovodstva bijeljinske bolnice.

Ova zdravstvena ustanova sarađuje već dvije godine sa Centrom za prostatu Univerzitetske klinike iz Insbruka, jednim od najboljih centara u Evropi za liječenje maligniteta prostate. Povremenim dolaskom načelnika iz ove austrijske ustanove profesora dr Jasmina Bektića u bijeljinskoj bolnici obavljaju se najsloženije operacije karcinoma prostate, koje se ne rade nigdje u Republici Srpskoj. Zakazivanje operacija vrši se nakon pregleda urologa iz bijeljinske bolnice.

U JZU Bolnica “Sveti vračevi”, Bijeljina, zaposlena su tri urologa: dr Dragan Živanović, načelnik Odsjeka za urologiju na Odjeljenju za hirurške grane, dr Pero Milovanović i dr Ljubinko Petković. Trenutno se na specijalizaciji iz urologije nalazi dr Momir Petković čijim povratkom će se pojačati urološki tim bijeljinske bolnice.

Služba za informisanje

87 INFO VIJESTI

Ljekari Univerzitetskog kliničkog centra Tuzla su izvršili eksplantaciju organa u Kantonalnoj bolnici Zenica.

Multidisciplinarni timovi su u Univerzitetskom kliničkom centru Tuzla obavili transplantaciju dva bubrega pacijentima iz Sarajeva.

Kadaveričnom donacijom organa i uspješno obavljenom transplantacijom nastavljen je razvoj projekta transplantacije organa u JZU UKC Tuzla, ali i stvorena mogućnost da se transplantacijom organa spasi život i poboljša kvalitet života za pacijenate.

Prema riječima prof. dr. med. sc. Denijala Tulumovića, direktora Univerzitetskog kliničkog centra Tuzla, brzom reakcijom cjelokupnog transplantacionog tima UKC Tuzla, zdravstvenog osoblja Kantonalne bolnice Zenica, kao i humanosti porodice donora, ali i velikom broju nemedicinskog kadra urađena je eksplantacija organa, nakon čega je uslijedila transplantacija dva bubrega koja je urađena u Univerzitetskom kliničkom centru Tuzla. Direktor Tulumović se ovom prilikom zahvalio na saradnji kolegama iz Kantonalne bolnice Zenica, ali i pripadnicima MUPa TK, koji su službenom pratnjom doprinijeli brzom i sigurnom transportu

Univerzitetskom kliničkom centru Tuzla dodijeljena je reakreditacija i integralna certifikacija sa 100% ispunjenih akreditacijskih standarda i 100% ispunjenih certifikacijskih standarda propisanih Standardima sigurnosti i kvaliteta za bolnice.

Još 2018. kao prvom a ujedno i jedinom kliničkom centru u FBiH, Univerzitetskom kliničkom centru Tuzla dodijeljena je akreditacija za uspostavljen sistem kvaliteta, a predanim radom, u skladu sa načelom stalnog unapređenja kvaliteta zdravstvene zaštite i kvaliteta zdravstvenih usluga, Univerzitetski klinički centar Tuzla je ponovo prošao sveukupan proces, te time zadržao titulu prvog i jedinog akreditovanog kliničkog centra.

Proces vanjske ocjene i dodjele reakreditacije i integralne certifikacije provela je Agencija za kvalitet i akreditaciju u zdravstvu u Federaciji Bosne i Hercegovine, kroz nekoliko posjeta vanjskih ocjenjivača, koji su još u toku prvih posjeta zaključili da se Univerzitetski klinički centar Tuzla

Urađena kadaverična transplantacija

organa što je u ovakvim slučajevima od izuzetnog značaja.

Uz multidisciplinarni tim ljekara za eksplantaciju i transplantaciju i stručni timovi Poliklinike za transfuziologiju,

Poliklinike za laboratorijsku dijagnostiku, Bolničke apoteke, Odjeljenja za nefrologiju, hemodijalizu i transplantaciju i Sektora za tehničke poslove dali su veliki doprinos u obavljanju ovih transplantacija.

UKC Tuzla 100% ispunjava certifikacijske i akreditacijske standarde

ponovo pokazao kao primjer u pogledu ispunjenosti standarda za uspostavljen sistem kvaliteta.

Ovaj čin predstavlja ujedno i potvrdu da Univerzitetski klinički centar Tuzla ustrajava na svojoj ranije utvrđenoj misiji i viziji da, uz stalno poboljšanje kvaliteta i sigurnosti, bude regionalni lider za izvrsnost u pružanju zdravstvenih usluga, te ustanova u kojoj se pacijenti žele liječiti i koja radi na povećanju zadovoljstva pacijenata.

UKC Tuzla
88 INFO VIJESTI

Prof. dr. med. sc. Nermin Salkić, gastroenterohepatolog Klinike za interne bolesti Univerzitetskog kliničkog centra Tuzla izabran je za predsjednika Asocijacije gastroenterologa i hepatologa Bosne i Hercegovine.

Izbor predsjednika Asocijacije gastroenterologa i hepatologa Bosne i Hercegovine upriličen je na redovnom sastanku Skupštine i Upravnog odbora održanom 30. juna u Banjoj Luci.

Prof. dr. Salkić je jednoglasno izabran za predsjednika ove Asocijacije na period od naredne četiri godine. Takođe, sjedište Asocijacije će u naredne četiri godine biti u Tuzli.

Prof. Salkić je specijalista interne medicine i subspecijalista gastroenterohepatologije, a istovremeno redovni profesor na Medicinskom fakultetu u Tuzli. U svojoj karijeri, pored unapređenja i uvođenja novih i inovativnih procedura i pristupa iz oblasti gastroenterologije, hepatologije, ultrazvuka i endoskopije, promocije korištenja novih metoda edukacije ljekara svih

Prof. dr. Nermin Salkić izabran za predsjednika Asocijacije gastroenterologa i hepatologa BiH

preko 60 naučnih radova, objavljenih u prestižnim medicinskim časopisima širom svijeta.

Dodjelom certifikata u UKC Tuzla završena je jubilarna 60. škola ultrazvučne dijagnostike abdomena. Škola je bila u organizaciji JZU Univerzitetskog kliničkog centra Tuzla i Ljekarske komore TK, trajala je od 5. do 30. juna 2023. godine.

Cilj Škole ultrazvuka je da se osavremeni i poboljša nivo ultrasonografije, kao i da se omogući kvalitetnija edukacija ljekara. Proces edukacije je postupan i sistematski, prilagođen nivou znanja polaznika.

Voditelj Škole ultrazvučne dijagnostike abdomena bio je prof. dr. Senaid Trnančević, specijalista interne medicine, subspecijalista nefrolog, a predavači su bili eminentni ljekari Univerzitetskog kliničkog centra Tuzla sa dugogodišnjim iskustvom u oblasti ultrasonografije.

“Deset polaznika škole ultrazvučne dijagnostike abdomena bili su iz različitih zdravstvenih ustanova širom Bosne i Hercegovine. Pored sticanja teorijskog znanja, nephodnog da bi se razumio i obavio ultrazvučni pregled, polaznici su postigli i praktične uvježbanosti, neophodne za rutinski rad”, istakao je prof. Trnančević.

profila, ima i impresivnu bibliografiju koja uključuje dvije autorske knjige, koautorstvo na četiri druge knjige, te

Izbor prof. dr. Nermina Salkića za predsjednika Asocijacije će doprinijeti unapređenju dijagnostike i tretmana bolesti probavnog sistema, ali i razvoju strategije Asocijacije u pogledu kreiranja nacionalnih programa prevencije raka debelog crijeva, potpunog iskorjenjivanja hroničnog virusnog hepatitisa, kao i edukacije ljekara i medicinskih sestara na polju bazične probavne endoskopije i ultrazvuka.

https://www.ukctuzla.ba/

60. škola ultrazvučne dijagnostike abdomena

UKC Tuzla
89 INFO VIJESTI

Kraj je maja, stiže treće konačno obaveštenje za naše druženje. Ove godine obeležavamo 51 godinu od upisa, odnosno 46 godina od apsolviranja na Medicinskom fakultetu u Beogradu. Naše tradicionalno okupljanje i druženje je planirano za 10. jun 2023. godine (uvek druga subota u junu). Jun je poseban mesec za okupljanje naše genercije i to je već preraslo u tradiciju. Nije mi poznato da postoji još neko slično godišnje okupljanje bivših studenata Medicinskog fakulteta u Beogradu. Mi smo stvarno posebni, to mogu da kažem bez lažne skromnosti. Citiraću Dragana Delića koji kaže da smo „neuporediva generacija, čuvari smo sećanja i ne možemo zaboraviti nedostajanje naših mnogobrojnih kolega koji su nas u međuvremenu napustili“. Dovoljno je reći da smo studije započeli u jednoj, a karijeru završili u potpuno drugoj zemlji. Možemo se pohvaliti nečim jedinstvenim, nastavili smo da se družimo u toku čitavog radnog veka pa i sada, kada gazimo petu godišnjicu penzionerskog staža. Nikada nas nije izneverila naša druželjubivost, kolegijalnost i prijateljstvo tako da na svako godišnje okupljanje dođe bar svaki deseti od 800 studenata koji su se upisali na Medicinski fakultet u Beogradu davne 1972. godine.

Ove subotnje večeri 10. juna prvi put na naše druženje došlo je četvoro kolega: Slobodan Zec iz daleke Amerike, Enver Zerem iz Mostara i dvoje kolega iz Beograda. Prepoznavali su se cimeri iz studentskih domova, drugari iz uže grupe na vežbama ili iz čitaonica. Bilo nas je 80. To je nešto manje od prijavljenog broja, ali dodatne obaveze, čuvanje unučića, jeftiniji aranžmani za letovanje u

Generacija studenata Medicinskog fakulteta Univerziteta u Beogradu, 1972 - 1977

Dragi generacijski drugari, pozdrav!

90 INFO VIJESTI

junu, malo su smanjili broj učesnika našeg skupa. Ljubinka Marčetić je pripretila novodošlim kolegama da moraju biti redovni na prozivkama u junu, pa ju je Slobodan Zec prozvao „mama Ljuba“, Mora da se sluša mama, mi smo ta generacija. Uz prigodan koktel, pogledali smo i dva filma o našoj generaciji. Eto i po tome smo posebni. Ne znam da li još neka generacija sa Medicinskog fakulteta ima i svoj lični dokumentarni film - dokument o jednom vremenu koje mora da se sačuva od zaborava.

Potom večera, muzika (mogla je da bude ovaj put i malo bolja) ili smo mi sami sebi dovoljni za šti-

mung. Dogovaramo se za ekskurziju u oktobru, domaćin i organizator je kolega Slobodan Ješić. Biće to upoznavanje sa turističkim i gastronomskim (Mačkat) lepotama užičkog kraja.

Evo konačnog plana naše ovogodišnje ekskurzije koji nam je proslijedio na mejl Upravni odbor generacije 1972-77.

„Naš generacijski drug Slobodan Ješić, dermatovenerolog iz Užica, iskazao je nepokolebljivu želju da nas ugosti ručkom i druženjem u selu Mačkat (Zlatibor) 8. oktobra 2023. godine.

Upravni odbor generacije je, posle ozbiljne rasprave, sa zadovolj-

stvom prihvatio poziv i naš budući odlazak proširio sledećim programom obilaska i druženja:

– Polazak autobusa iz Beograda 7. oktobra 2023. godine (subota) u 0.8h.

– Dolazak u manastir Mileševa oko 13h.

– Ručak u etno restoranu u blizini manastira od 14 do 17h.

– Dolazak u Priboj u 18.30h, smeštaj u Hotel „Terme“, večera i noćenje.

– Dana 8. oktobra, doručak u hotelu, obilazak Zavičajnog muzeja u Priboju i manastira na Banji.

– U 13h krećemo na Zlatibor (s.Mačkat) gde je planiran ručak.

– Povratak za Beograd u popodnevnim satima.

Cena kompletnog aranžmana iznosi 9.550,00 dinara (dvokrevetna soba) ili 11.000 dinara (jednokrevetna soba).

Detaljniji progam putovanja i druženja, kao i način plaćanja biće objašnjeni u drugom obaveštenju. Svi zainteresovani treba da se prijave najkasnije do 15. septembra 2023. godine Ljubinki Marčetić na telefon 064-2370091, fiksni 011-7620470, E-mail: ljubinkamarcetic@mts.rs ili Jadranu Bandiću Email: jadran53@gmail.com

Srdačan pozdrav i do skorog viđenja, Upravni odbor generacije 1972-77.”

Dragi moji, nadam se da će ovo kratko sećanje na naše junsko druženje u Hotelu „M“, kao i najava ovogodišnje dvodnevne ekskurzije u zlatiborski kraj učiniti da prikupimo energiju koja će naša okupljanja i druženja i dalje činiti posebnim. Vaša, Nada Vasić.

91 INFO VIJESTI

ZDRAVSTVENI HOROSKOP

Uređuje i piše: Snežana Despot Vuletić

snezana.despot@ gmail.com

Kurs iz osnova astrologije, informacije na tel. 065 523 036

Želim SRETAN ROĐENDAN svima vama koji ste rođeni u znacima djevica i vaga.

U ovom periodu čak četiri spore planete imaju dug boravak na stepenu na kojem se dešava promjena pravca kretanja: Jupiter (15), Uran (23), Neptun (27) i Pluton (27). Ako dodamo i sporo kretanje Merkura kroz Djevicu sa stanicama na 21. st. i 8. st. potrebno je da presložimo svoje prioritete na realnoj osnovi, da uronimo u sebe, sagledamo svoje potrebe i realno preispitamo odnose u kojima se nalazimo, kako bismo mogli djelovati kada planete krenu direktno. Svi koji imaju aktivne navedene stepene mogu očekivati uticaj ovih planeta koji može biti i dobar ili problematičan, zavisno od ličnog horoskopa.

OVAN 20. 3 - 20. 4.

Jupiter u Biku, u vašoj drugoj kući, stabilizuje finansije i omogućava povoljan finansijski period. Iako je tu i Uran koji vam zadnjih godina zadaje finansijske oscilacije nagore i nadolje, ovo je period kada je sreća na vašoj strani, naročito onima kojima se tu nalazi Venera, Mjesec ili Jupiter. Venera je u skladnom aspektu sa vašim znakom što omogućava kvalitetan emotivni odnos. Ipak u periodu retrogradnosti možete od partnera biti testirani koliko ste u stanju da svoju Veneru stavite na pijedestal koji zaslužuje. Na poslovnom planu biće potrebno izvršiti neka prilagođavanja. Čuvajte se povreda, sklanjate se iz opasnih situacija rođeni 18-20. aprila.

BIK 21. 4 - 20. 5. Vaš vladar znaka, Venera, je u znaku Lava i ima napet aspekt sa vašim Suncem, što omogućava ljubav, sreću i zadovoljstvo u emotivnim odnosima ukoliko znate pokazati svojoj Veneri svoje emocije i biti oslonac i pružiti sigurnost. Ukoliko budete zamjerali njenoj potrebi da bude svoja, da na neki način dominira u odnosu, vrlo lako su moguća neslaganja i nezadovoljstvo oboje. Jupiter u vašem znaku, naročito je izržen rođenima 6. maja, daje obilje sreće, uspjeha i zadovoljstva, prosperitet i mnogo putovanja. Rođeni 14 i 15. maja biće osjetljivi na uticaj Urana, stresovi mogu nepovoljno uticati na srce. Ne nervirajte se što to ne možete promijeniti.

BLIZANCI - 21. 5 - 20. 6.

Kretanje Marsa tokom avgusta može donijeti početak nove veze, ali i svađe sa partnerom. Oko djece je prisutna velika aktivnost i trošenje energije na zadovoljavanje njihovih potreba. Sportske aktivnosti su poželjne u ovom periodu, samo se pazite povreda. Posljednja kvadratura Saturna uzrokuje napetost na profesionalnom planu kako biste razmislili koje su to situacije koje je potrebno dovesti do kraja, kako biste u narednom periodu stvorili uslove za bolji start. Moguća su kraća putovanja zajedno sa partnerom. Nastojte zajedničko vrijeme provesti u osvježavanju veze, a ne nalaženju neodostataka. Od oktobra emotivni odnosi su na testu kvaliteta.

RAK - 21. 6 - 22. 7.

Povoljan aspekt Urana prema vašem Suncu, rođenima od 14 - 16.7. utiče na primjenu novih metoda rada i niz iznenadnih povoljnih promjena. Nasuprot tome, iritantan aspekt Marsa tokom avgusta utiče na naglost i impulsivno djelovanje što može uzrokovati

SUNCE je u znaku DJEVICE od 23.8 - 22.9., a u znaku VAGE od 23.9 - 22.10. MJESEC dva puta obilazi cijeli zodijak, počevši od znaka Škorpije do znaka Vodolije. MERKUR u znaku Djevice, u kome ostaje sve do 22.10., a retrogradno kretanje ima u periodu od 24.8 - 15.9. VENERA se od 6.6. nalazi u znaku Lava i tu boravi sve do 9.10. kada prelazi u znak Djevice. Retrogradno kretanje ima od 23.7 - 3.9. što znači da je cijeli avgust u retro-kretanju. MARS je direktan cijeli period. Zatičemo ga na 27. st. Djevice i već 28.8. prelazi u znak Vage, gdje ostaje do 12.10. Od 13.10. biće u znaku Škorpije. JUPITER se krće znakom Bika od marta ove godine. U ovom periodu dugo stoji na 15 st. i to od 17.8 - 23.9. Iz direktnog hoda prelazi u retrogradan hod 5.9. i biće retrogradan do kraja godine kada dođe do 5. st. Djevice. SATURN se kreće retrogradno znakom Riba. Krenuo je sa 7. stepena i kreće se do 0,31 st. do 3.11. U ovom periodu prelazi put od 4-0 st. Kritični stepeni za sve rođene u znaku Riba su upravo 7. i 0. stepen ukoliko im se tu nalazi Sunce ili neka druga važna lična planeta, jer može donijeti problematične i teške situacije i životne krize. URAN je u Biku na 23. st, a retrogradno kretanje počinje već 29.8. koje traje do sredine januara sljedeće godine. Na 23. st. stoji od 15.8 - 12.9. I NEPTUN je retrogradan cijeli period, od 26 – 25. st. Riba. PLUTON u Jarcu je retrogradan do 10.10. i kreće se od 28 - 27. st. Jarca.

nesporazume i nezadovoljstvo. Saturn kroz 9. polje donosi ozbiljniji pogled na život, naročito rođenima 22-30.juna. Pojačana je izdržljivost i sposobnost uporne borbe do postizanja cilja. Venera u polju novca u napetim aspektima sa Jupiterom i Uranom može iskomplikovati finansijsku situaciju, donijeti ili prevelike troškove ili prekide priliva novca. Kritičan finansijski period traje do 8.10.2023. LAV - 23. 7 - 23. 8. Venera je i dalje u vašem znaku, a od 23.7.-3.9. svojim kretanjem može usloviti postavljanje pitanja o sopstvenoj vrijednosti. U svom kretanju napraviće napete aspekte sa Neptunom i Plutonom i daje priliku da toksične odnose konačno završite. Budite pravi lav koji zna da mu je mjesto na čelu parade ili lavica koja neprikosnoveno stoji na tronu. Sami pravite izbore, samo se morate sjetiti da ste u suštini hrabri kao i da mislite o dobrim i lijepim stvarima, a isključite sve problematično što vas blokira. Planeta prosperiteta može donijeti uspon u karijeri, ali je potrebno nešto više truda i spremnost na promjene. Rođeni 16. i 17.8. mogu imati srčane tegobe.

DJEVICA - 24. 8 - 22. 9. Boravak Sunca u vašem znaku od 23.8 - 22.9. vas štiti i čuva, daje samopouzdanje i dobro zdravstveno stanje. Rođenima 16. i 17. septembra Uran donosi iznenadne pozitivne promjene, više slobode i samostalnosti. Kreativnost, talenti i vizije su posebno izraženi. Tokom avgusta Mars u polju finansija voli da troši, pa je potrebno uskladiti prihode sa rashodima. Jupiter šalje povoljan uticaj na zdravlje, a i prilike za zaradu, putovanja i poslovne poduhvate, naročito rođenim 4-8.septembra. Neke krizne situacije sa ženom ili sestrom nastojte što prije riješiti, dok jaz ne postane prevelik. Merkur u vašem znaku sposoban je smisliti pametno rješenje.

VAGA - 23. 9 - 22. 10.

Povratak Sunca u vašem znaku donosi intenzivne želja za skladom i harmonijom, naročito u partnerskim i bračnim odnosima.. Merkur u djevici ima potrebu da kopa po vašem nesvjesnom kako bi prepoznao emocionalni mulj koji vas vuče u nezadovoljstvo. Prilika da popravite svoje emocionalne partnerske odnose pruža vam se u avgustu kada će Venera i Mars biti u zagrljaju. Neki će poboljšati postojeću vezu, a neki imati priliku da uđu u novu vezu. Možda ćete morati pribjeći brojnim prilagođavanjima u ovom periodu, kako na poslovnom planu tako i po pitanju finansija i zaduživanja. Moguć je povratak zdravstvenih tegoba koje niste riješili.

ŠKORPIJA - 23. 10 - 22. 11.

Vama su u ovom perodu dominantni emotivni i partnerski odnosi. Venera, Jupiter i Uran su u napetom aspektu sa Suncem što uzrokuje pretjerivanje, egoizam, probleme u ljubavi i nezadovoljstvo. Uznemirenost i poteškoće u partnerskim odnosima posledica su izražene samovolje. Na zdravstvenom planu mogu se pojaviti neočekivane tegobe sa kičmom ili srcem, ali i problemi sa spavanjem. Ovu napetu situaciju smiruje Saturn svojom sposobnošću podnošenja teškoća, istrajnošću i izdržljivošću i Neptun saosjećajnošću i vjerom da je moguć povoljan ishod iz trenutno komplikovanih situacija. Pluton se

pridružuje sposobnošću regeneracije.

STRIJELAC - 23. 11 - 21. 12. Jupiter, vaš vladar, planeta optimizma, boravkom u znaku bika, traži prosperitet na materijalnom planu. Ne pretjrujte ni u obavezama ni u uživanjima. Nastojte ostati umjereni kako bi izbjegli lične i zdravstvene probleme. Tokom avgusta, povoljan aspekt Marsa, daće vam snage i energije kao i sposobnost da uspijete u akciji koju preduzimate. Ovo je period borbenosti i entuzijazma. Mogućnost sticanja novih prijatelja. Rođeni 23-27. .novembra mogu nakratko izgubiti entuzijazam i optimizam i upasti u brižna stanja, neraspoloženost, a na fizičkom planu mogući su problemi sa kičmom, slabostima srca ili pritiskom. JARAC - 22. 12 - 19. 1.

Saturn, vladar vašeg znaka, može ovog ljeta donijeti probleme i krizne situacije sa braćom, sestrama, rodbinom, ali i sa komšijama, naročito starijim. Loš period za putovanja, jer može donijeti kvarove auta, nezgode. Oprez pri prelasku ulice, naročito ako vidite kamion ili autobus. Mračna raspoloženja, nezadovoljstvo. Povoljan aspekt prema Suncu, naročito rođenim 22-26. dec., omogućiće dobru izdržljivost. U periodu 28.8 - 12.10. Mars iz 10. polja karijere biće u napetom aspektu sa Saturnom pa to može biti period profesionalne ili partnerske krize. Izbjegavajte sukobe i svađe. Takođe može biti nezgodan period za povrede, padove, prelome. Zbog brzog kretanja Marsa to su kratkotrajne situacije koje se mogu prebroditi uz dodatan oprez. Rođeni 18.1. moraju se truditi da savladaju netolerantnost koja vodi nasilju.

VODOLIJA - 20. 1 - 19. 2. U vašem polju novca nalazi se planeta ograničenja Saturn i uslovljava da uvijek nedostaje još malo novca da se sve obaveze pokriju. Od rasporeda planete na rođenju zavisi da li je ovo period besparice ili prilike za zarađivanje, ali uz dodatni trud i napor. Opozitivni odnos sa Venerom ukazuje na potrebu preispitivanja emotivnih odnosa i svjesno raščišćavanje emotivnih nesuglasica. Uspjeh u rješavanju je uz uslov otvorenosti i povjerenja. Kvadrature Sunca sa Uranom i Jupiterom nose u sebi bunt (rođeni 12 i 13.feb) i potrebu za pretjerivanjem (rođeni 4-8. februara). Stanje stresa utiče na probleme sa srcem i visokim pritiskom. Moguće povrede stopala i grla. RIBE - 20. 2 - 20. 3.

Ribe su suočene sa tranzitom Saturna koji je ili učitelj ili mučitelj, zavisno kako prihvatate obaveze, disciplinu i odgovornost. Teži period je ribama rođenim 19.2. i 20.2. jer će Saturn stojati preko njihovog Sunca u periodu od 12.10 - 27.11-2023. Ovaj uticaj se ogleda u padu imuniteta, nezadovoljstvu, zdravstvenim tegobama, depresivnim stanjima. Sa tranzitom Marsa moguće su opasnosti, rizici, operacije. Nužna je budnost na putu, bez brze i rizične vožnje. Rođeni 16.3. i 17.3. imaju druge probleme. Prevelika mašta i idealizacija mogu donijeti razočarenja. Spas je u kreativnom radu kao što je slikanje, fotografija i sl. Venera poklanja povoljne poslovne situacije, poboljšava zdravlje.Rođenim od 10, 11 i 12. marta Uran iz Bika donosi nagle pozitivne promjene, poboljšava energiju i zdravlje i vizionarsku kreativnost.

Horoskop od 23. 8. - 22. 10. 2023.
92

Smrt je samo promena svjetova, kao što prijatelji prelaze preko mora, zauvjek boraveći jedni u drugima. Oni možda umiru, ali njihovo prijateljstvo i njihova prisutnost, besmrtni su! (Medici.com )

Do viđenja, druže, do viđenja. Ti mi prijatelju jednom bejaše sve! Urečen rastanak bez našega htenja, obećava i sastanak, zar ne!? (Jesenjin)

Aforizmi

Razlog zašto pas ima toliko prijatelja je što maše repom, a ne jezikom.

***

Jedna poslovica: Treba umrijeti mlad i zdrav, po mogućnosti što kasnije.

***

Nigdje ljepše pjesme od one u porodilištu kada male bebe počnu u horu da plaču! ***

Što je u bolnici više bolesnih medicinara biće i više razumijevanja između njih i bolesnika.

***

Na svijetu nisam vidio boljih ljudi od ovih medicinra! Krvi bi ti dali, kad bi je imali na zalihama.

***

Da nije simulanata i muškaroša, u bolnici bi ležali samo bolesni.

***

Studirao je medicinu i sve je bilo dobro dok je nije završio.

***

I magistrirao je i doktorirao je, ali još nije naučio ono najvažnije – u kojoj medicinskoj grani se najviše zarađuje.

***

Iskustvo nas uči da ne mijenjamo prošlost za budućnost. U prošlosti smo ponekad bili i srećni.

***

Nemam straha ako na Balkanu počnu da duvaju neki novi vjetrovi. Oni stari su sve oduvali.

***

Negdje sam usput izgubio zdravlje. Molim poštenog nalazača da ga odnese u najbližu veću bolnicu.

***

Napustila žena jednog političara. Veli, imamo svega, a seks do koga mi je najviše stalo, samo obećava.

***

Ne znam šta je njega privuklo u bolnicu, kad je cijeloga života bio zdrav.

***

Sposobna je, jer je rodila petoro djece s petoricom muškaraca. I kad joj umre muž, samo će jedno dijete ostati siroče. ***

Mi imamo bogatu istoriju. Ko god ode u nju, izgubi se.

Mini-humoreska Kad mene neće bolnica, neću ni ja bolnicu

Kao dijete sam se igrao u bolničkom dvorištu i bolnica je za mene bila jedna obična zgrada s prostranim dvorištem za igru. Kasnije sam na prozorima zgrade primijetio kese s hranom, flaše s mlijekom i veš koji se sušio. Kad bih, dosta kasnije, nekoga obilazio odnoseći mu voće, uvjerih se da je unutra lijepo i čisto; zimi toplo, a ljeti podnošljivije nego napolju.

Prvi put sam, zbog radi sebe, otišao u bolnicu, kad mi je u bolnicu primljena moja najveća ljubav, moja slatka Ružica. Primili je zbog urastanja nokta na palcu desne noge. Bože, koliko ju je boljelo?! Pitao sam da li i ja mogu da budem primljen i rekoše da ne mogu, čak ni ako bih pristao da i meni urasta nokat na palcu desne noge. A može li ako urasta na lijevoj nozi? Ne može. A na oba palca? Ne može da ti urastaju na svim prstima obje noge i ruke. Patio sam, a možda i ona. Ne možda, zasigurno je patila više od mene, jer je morala da nađe nekoga da je tješi dok je bila u bolnici. Od muke i ja se oženih. Vatrena ljubav, zapaljive stvari joj ni blizu ne smiješ prinijeti. Počnem ja da švrljam, onako da vrijeme ne gubim, a ona umjesto da se raduje da me ovakvog kakav sam iko hoće, unatoč zabrane upotrebe vatrenog oružja, opali iz

svih brzopucajućih cijevi.

Potražim spas u bolnici. Ko mislim, ako imaju spas za oboljele zašto ne bi imali i za zdrave. Ne može, vele, krečimo bolnicu. Odmah sam otišao da pitam koliko košta krečenje bolnice da uporedim moju glavu s tom cijenom. Tada sam prvi put procijenio da mi glava i ne vrijedi puno, ako se krečenje ne obavlja s najskupljim materijalom. Taman kad sam odlučio da se naljutim na bolnicu, sinu mi da se nije ljutiti koga je moliti.

Onda, idem s drugom ulicom i pričamo bez veze. Tada me đavo povuče za jezik i ja kažem: “Državu vode lopovi“. Policajac kao da iskoči iz asfalta, pa udri po meni. Jaučem i govorim da nisam mislio na ovu našu državu, a on će ti: „Znam ja koju državu vode lopovi, nećeš ti mene prevariti!“ Da izbjegnem ‘apsanu, ponovo pokušah u bolnicu, ali bi epidemija gripa i ne primiše me. Još jednom sam zazvonio na pokvareno bolničko zvono, ali su med. radnici i neradnici štrajkovali. Onda mi se dogodi.

- Nešto loše izgledate, uzmite uputnicu pa ću vas primiti u bolnicu - reče mi ljekar koga sam poznavao.

- E, neću ! – proderao sam posljednjom snagom preostalom – kad bolnica nije htjela mene cijelo vrijeme, sada ni ja neću bolnicu.

A da sam pristao možda sada ne biste čitali ovu humoresku, jer kad ljekarima dođete u šake, nešto će vam pronaći.

Babica pita porodilju kome da javi srećnu vijest. Ova se malo zamisli pa poče da diktira imena:

- Dragan, Mirko, Slobodan. Momo...- kome god javiš nećeš pogriješiti i obradovaćeš ga – reče majka.

Babica iznosi novorođenu bebu i pokazuje je očevima pitajući:

- Čija je ovo beba?

Najzad se javi jedan brkajlija i reče:

- Uzeli ste je od moje žene, a da me ubijete ni ja ne znam čija je...

Razgovaraju dvojica pacijenata.

Šale

Kad je vidio da je i noćas hirurška ekipa u operacionoj sali okrvavila ruke, jedan savjesni pacijent se zapitao:

- Ne znam šta rade naši sudovi, ovo se često ponavlja.

Ima nelogičnost u medicini. Iako nam je zadnjica najčešće zdrava i dobro funkcioniše, opet u nju zabadamo injekcije ma gdje i ma šta da nas boli!

Dugo je žena čekala na tu partiju seksa i kad je trebalo da je obave, nestalo je svjetla.

- Neću da pravim dijete u mraku, neće biti lijepo - rekao je muž i odustao i ovoga puta.

Portprol kničkog centra saopštava:

- Operacija, odstranjenje bolesnog bubrega, je uspjela samo je hirurg umjesto bolesnog, izvadio zdravi bubreg.

- Ti dobro jedeš, a stalno govoriš da si teško bolestan?

- Na silu, brate. Uvijek mislim da mi ovo može biti posljednji obrok na ovome svijetu, a ne znam kakva je hrana i ima li je tamo.

Poslije pregleda starac pita ljekara šta mu je. Kad mu reče da su mu povećani jetra i prostata, on će:

- Hvala ti bože, kada mi je štogod povećano kad mi se sve skuplja.

Svekrva cijelo jutro čeka da mlada ustane i da skuva kafu, a mlada spava do jedanaest časova.

- Kod nas je običaj da mlada prva ustane – prekori je svekrva. Na to će mlada:

- Te svoje običaje zadržite za sebe, a ja sam svoje donijela sa sobom.

Žena dočekuje muža kasno noću i pita:

- Gdje si ti noćas? Čekam te cijelo vrijeme.

Muž će na to:

- Ja sam tebe čekao dvadeset godina i nikada ti nisam prebacivao da si zakasnila za ženu.

Prof.
93 SMIJTE SE, ZDRAVO JE!

AS MEDICUS VRA

Telefon: 011/2836-836, 065/285-3393

AS MEDICUS BEŽANIJSKA KOSA

Telefon: 011/2272-916, 065/2272-916

E-mail: poliklinika@asmedicus.rs

Osnivači poliklinike

dr sci med Nina Nikolovska Sinicki, spec. ORL i Kvantne medicine

dr Aleksandar Sinicki, spec. neuropsihijatrije i Kvantne medicine

1. Dermatološki pregledi

Radno vreme:

KLASIČNA MEDICINA:

2. Kozmetološki tretmani i liječenje polnih bolesti

INTERNA MEDICINA

3. Ultrazvuk krvnih sudova - vaskularni hirurg

ULTRAZVUK I COLOR DOPPLER

KARDIOLOGIJA

4. Krioterapija tečnim azotom (otklanjanje bradavica, kondiloma)

ORL

NEUROLOGIJA I PSIHIJATRIJA

5. Peeling lica, kauterizacija (otklanjanje visećih, staračkih, seborojičkih bradavica)

GINEKOLOGIJA

KVANTNA MEDICINA: BIOREZONANTNI SKENER TERMOVIZIJSKI SKENER DARKFIELD MIKROSKOP MIKROREZONANTNA TERAPIJA

118

KUĆNE POSJETE

Pozovite nas i dolazimo na Vašu adresu 065 543 184

ALFALAB POSLOVNICE

Alfalab Malta

Mladena Stojanovića 26 c, Banja Luka

051 813 116 alfalabmaltarezultati@gmail.com

Alfalab Centar

Milana Tepića 27, Banja Luka 051 218 448 alfalab75@gamil.com

Alfalab Borik Gundulićeva 25, Banja Luka 051 265 460 alfalabborik@gmail.com

Alfalab Lazarevo

Ilije Garašanina 1, Banja Luka 051 963 385 alfalab2biomedica@gmail.com

Alfalab Kotor Varoš Stafana Nemanja bb 051 941 199 alfalabkv@gmail.com

Alfalab Gradiška Kozarskih brigada bb 051 453 070 alfalab.gradiska@gmail.com

Alfalab Mrkonjić Grad Sime Šolaje bb 050 490 208 alfalabmrkonjic@gmail.com

Alfalab Prijedor Kozarska 51a 052 225 634 alfalabbiomedicaprijedor@gmail.com

Tel. 051 218-448; e-mail: alfalab75@gmail.com; www.alfalabbl.com

POMOĆ U OČUVANJU ZDRAVLJA CIJELE PORODICE!

78000 BANJA LUKA; Ul. Braće Mažar i majke Marije 18 (Hanište); Tel: 051/212-437; prizmabls@teol.net; www.prizmabl.com

PREGLEDI I LIJEČENJE

PENZIONERI I ZAPOSLENI KUPOVINA NA RATE Tjelesni analizator
pet do dvanaest vrijeme je za ZDRAVLJE Koncetrator kiseonika Tlakomjer INTELLIIT Kompresorski inhalator C 28P Elektromasažer E3 INTENSE Oralni tuš Dental Jet 2000 KM 155 KM 200 KM 50 KM 150 KM 145 KM 200 KM 150 KM 120 KM PRIZMA PRIZMA Tlakomjer M3 Tlakomjer RS 2 Glukometar AutoCode
Zanatska
„Putovanja sa Jelenom“ Zlatibor – 2 noćenja sa polupansionom + prevoz – već od
KM Tel: +
TURISTIČKA AGENCIJA “JJ”
bb, Prijedor
180,00
387 65 695 428, e-mail: jokajelenabiz@gmail.com

ZU Specijalna bolnica iz hirurških oblasti “Dr Kostić”

Maksima Gorkog 9, Banja Luka, 051/491-999, 066/340-004

E-mail: shbdrkostic@gmail.com; www.klinikakostic.com

Mi smo tu zbog Vas!!!

U našoj ustanovi možete obaviti sljedeće usluge:

1. Pregled hirurga i operativni zahvati iz domena abdominalne hirurrgije

2. Pregled gastroenterologa i gastroenterološka obrada (gastroskopija,kolonoskopija u analgosedaciji)

3. ERCP

4. CT dijagnostika

5. UZ dijagnostika

6. Pregled kardiologa + UZ srca

7. Pregled dermatologa

8. Pregled ortopeda, endoskopske intervencije

9. Pregled endokrinologa

10. Pregled i endoskopska dijagnostika dječijeg gastroenterologa (prof. dr Vojislav Perišić)

11. Pregled specijaliste ORL, alergologa, te operativni zahvati iz domena otorinolaringologije

12. Operativni zahvati iz domena laparaskopske ginekologije

13. Operativni zahvati štitne žlijezde minimalno-invazivnom metodom (prim. dr Dejan Ilinčić)

14. Operativni zahvati iz domena plastično-rekonstruktivne hirurgije

NAJKVALITETNIJOM ZDRAVSTVENOM USLUGOM, UZ PRIHVATLJIVE CENE, DO ZADOVOLJSTVA PACIJENTA! Tel: +381 11 39 88 111; +381 11 63 01 900; Mob: +381 69 39 88 111; +381 66 360 336 E-mail: vozdmedik@gmail.com; Web: www.vozdmedik.com; Kumodraška 121, (Ulaz iz Kraljevačke ulice), Beograd, Srbija

Turn static files into dynamic content formats.

Create a flipbook
Issuu converts static files into: digital portfolios, online yearbooks, online catalogs, digital photo albums and more. Sign up and create your flipbook.