Hervey Bay Advertiser and Hervey Bay Property Guide

Page 1


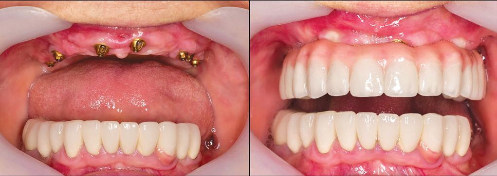
3D imaging your gums for the

COPY DENTURES

If you’re happy with your current FULL dentures, we can copy them for youno impressions required.

Precise CAD designed & manufactured Durable Milled from high impact premanufactured discs

Consistency Same set of dentures can be reproduced many times

Digital backup Can be remade at any point

Customisable Many shades and teeth shapes available

Convenient Faster to make, less appointments CAD DESIGNED DIGITAL DENTURES AVAILABLE NOW IN

More, more, more.

Capitalism is alive and well in Hervey Bay.

Every spare block of land is being gobbled up.

Our wildlife do not have a chance.

Stranded Kangaroos squeezed into less space.

Family of six stranded on the one remaining block of land at Doolong and Main Streets.

That too has been staked out by surveyors recently.

Five ducks run down on Main St leaving one remaining animal traumatised wondering what happened to its family.

Cr Lachlan Cosgrove recently secured unanimous support at a Council meeting for a crucial initiative concerning the future of the Point Vernon Esplanade Foreshore.

The Council will soon review a special report recommending an increase in service levels for open space maintenance between the Pines and Esa Park in Point Vernon. Additionally, the possibility of redesignating this area as a highprofile zone will be considered.

This issue has been a longstanding concern for decades. In 2017, the Council introduced a comprehensive plan to enhance the foreshore, aiming to improve its visual appeal and address the presence of weeds. However, progress has since regressed.

In response, the Point Vernon Foreshore Enhancement Group has launched a petition, urging the Fraser Coast Regional Council to

I have witnessed at least 30 plus Kangaroos killed on Main and Doolong Roads.

Has anyone thought about wildlife corridors?

It’s all about the money and greed for more. When will it end?

I have lived in Hervey Bay for 70 years and it goes without saying, I have seen change.

However, I’m pleased to say the area in which I walk has not changed.

I am referring to the Pialba –Point Vernon foreshore.

In fact, it has been enhanced. It is now possible to walk from the Pines on the grassy foreshore to the vicinity of Banksia Street.

When I was a child, access was impossible from below Halcro Street.

I am pleased to report, when walking on the beach and looking from Point Vernon, the view is much similar to what it was in the Fifties except for a very few buildings of approved height, nestled within the “tree line”.

Having said that, I was dismayed to read of the

address the ongoing neglect of this valued foreshore. The petition supports Cr. Cosgrove’s motion for increased maintenance and enhancement efforts.

At the time of this publication, the petition had garnered signatures from hundreds of residents and was increasing daily.

The group claims that the foreshore’s maintenance has declined, resulting in overgrown grass, weeds, and saplings, which have contributed to an untidy and unappealing appearance. They also express concerns about changes made to the area without adequate consultation with local residents, contrary to the Council’s 2012 key objectives.

Community consultation is at the forefront of the group’s concerns.

They are calling on the Council to actively engage with residents to ensure the foreshore meets

the community’s needs. Preservation and safety are also top priorities, with the group seeking action to eliminate vermin, restore parklands, and implement erosion control measures.

The concerns raised by these residents are difficult to dispute. In its current state, the Point Vernon foreshore falls below the standard that the Council would tolerate if it were a private vacant block of local land.

Local representation has been overly green for the past eight years, compromising the safety and well-being of the area.

This situation presents an early test for firstterm Councilor Cosgrove, who faces significant scrutiny to deliver the desired outcomes.

To learn more about the petition and lend your support, scan the QR code provided.

Council’s approval of the proposed 18-story high rise on the Torquay Esplanade.

The tree line will be interrupted by an unaccustomed, obtrusive, bulky building.

In other words, a “blot on the landscape”.

This is not in keeping with the Hervey Bay I know, the one that has a unique foreshore of hardwood species including the various eucalyptus, cottonwoods and cypresses; this natural vegetation has not been removed and replaced by the planting of Norfolk Pines as in other coastal cities.

The very worst scenario is

likely now, that is, of other buildings of similar height being approved.

The Council will be drawn to the “slippery slope”.

We do not need such facilities to attract tourists.

Hervey Bay is loved by many families who enjoy their holidays here.

The traffic congestion at these times is proof of this fact.

Our accommodation centres including caravan parks all prosper during these times.

I feel I am living on “borrowed time” as I gaze across the Bay admiring its unspoilt beauty and that low

uninterrupted tree line.

How much longer this will be the case, is most worrying and frightening to contemplate.

I am writing to support the letter from Glen Winney in regards to the Point Vernon Foreshore.

I wholeheartedly agree with his sentiments.

The Point Vernon foreshore, once a golden showcase of our beautiful region, has become unrecognisable due to overgrowth and neglect.

The lush grasses and well-

maintained parklands that once attracted families and visitors have been replaced by an overgrown, unkempt landscape.

This transformation is largely due to the overly green agenda pushed by previous councilors, who prioritised unchecked vegetation growth over maintaining a familyfriendly, accessible space.

While environmental stewardship is crucial, the lack of balance in this approach has come at the expense of the community’s enjoyment.

The foreshore no longer reflects the pristine beauty that once defined our region, and the needs of local families and visitors have been sidelined.

It’s time for a reassessment to restore the foreshore to its former glory—a vibrant, well-maintained space that celebrates both our natural environment and the community’s love for this cherished area.

I understand there have been hundreds of signatures on a petition to have the area looked again with a set of fresh eyes. I think that is a very important initiative.

Dear Editor,

I wish to share a happy experience I had recently.

While waiting in line at the supermarket, the young Mother in front of me realised she didn’t have enough money to pay for her purchases.

Another shopper, without hesitation, happily paid the difference.

All of us witnesses thanked her for her generosity.

As I left, I made the decision to “pay it forward” and went to the nearby cafe and paid for a coffee.

I left the centre feeling warm and fuzzy inside, knowing that a few people were feeling that the world can be a nice place.

David Lee, the LNP Candidate for Hervey Bay, is calling for an immediate reduction in the speed limit on Booral Road due to traffic safety concerns.

“The Ingenia Lifestyle Village on Booral Road, Urangan has a Fraser Coast Regional Council development condition to construct a pedestrian refuge

crossing on Booral Road,” said Mr Lee.

“It defies common sense that the Department of Transport and Main Roads would allow a pedestrian refuge crossing to be constructed in an 80 km speed zone.”

“Ingenia Lifestyle residents need to be able to conveniently access the nearby Airport doctor surgery and pharmacy, supermarket and retail shops. Some residents require mobility aids to traverse busy Booral Road such as motor scooters and wheelie walkers.”

“In recent months, Ingenia Village residents have expressed grave concerns to me about pedestrian safety on Booral Road.

In one case, an Ingenia resident was observed to be attempting to cross the busy road in a wheelie walker.”

Mr Lee said, “A reduction in the speed limit from 80 km/ hr to 60 km/hr in conjunction with the construction of a pedestrian refuge crossing is integral to the safety and wellbeing of Village residents.”

Bay Orthopaedic & Fracture Clinic 5/13 Medical Place, Urraween, 4655 Qld Ph: 07 4128 0736 Fax: 07 4148 6312 reception@thebayorthoandfracture.com.au www.thebayorthoandfracture.com.au

How would you like to join the Hervey Bay Yarnbombing ladies who decorate the town for Christmas? Come and join us. We are looking for more ladies who enjoy knitting, crocheting or even if you just want to come along and help sew the decorations together. We meet on the 1st Saturday

of each month in the Artlink Hall at 137 Bideford St, Torquay between 9am and 11.30am.

You can contact Robyn at robron777@gmail.com or on 0402 593 886.

The Wildlife Library talk for September is an occasion not to miss. The Fraser Coast Branch of Wildlife Queensland has invited Mark Grimsley

to speak on raptors. He will be presenting on September 20 at the Hervey Bay Library and on September 27 at the Maryborough Library.

Mark will share his experiences while encountering different types of birds of prey on the Fraser Coast.

You can book for these talks by going online to Eventbrite or by phoning the Library on 4197 4220. The talks run from 1pm to 2pm.

REGISTRATION forms are now available for the 2024 Mobility Scooter and Wheelchair Convoy as the Fraser Coast prepares to break records and have some fun reliving the 50’s.

Fraser Coast Mayor George Seymour said this year’s convoy, which will have a 1950s theme, is being planned for Saturday, September 14.

“We’re encouraging all participants to dress themselves and their vehicles from the 1950’s,” he said.

“Think Elvis Presley and Doris Day. Think full skirts, elegant gloves, wide-brimmed hats, big hair, red lipstick and thick eyeliner as we get ready to relive the 50’s.

“We hold the Australian record with 176 in the convoy, so this year we’re hoping to go one step further and break our own record.

“The number of motorised wheelchairs registered in the Fraser Coast has increased annually since 2020, reaching 3,326 in 2024/25.”

Cr Seymour said the convoy was about bringing together mobility scooter riders and wheelchair users to celebrate the independence these vehicles provide and to

increase awareness of how to use them safely.

“We want to promote a safe and welcoming environment for all mobility users, ensuring they can move around freely and confidently in our region,” he said.

Fraser Coast Regional Council Seniors Liaison Officer Juls de Waard said the event was about promoting safety and having fun at the same time.

“We always see amazing displays of creativity, and it’s exciting to see how participants express themselves through their decorated vehicles and fun hats,” she said.

“Prizes are available for the Largest Group, Best Decorated Scooter and Best Decorated Individual.

“The convoy will leave Scarness Park and head down the Esplanade, past the playground and skate park before making its way back to Scarness Park for some live music with Fred Troughton and a free BBQ for participants.

“If you won’t be participating in the convoy, bring your family and friends to cheer on the riders from the sidelines.

Registrations only open from 8am on Saturday 14 September at Scarness Park across the road from the Beach House Hotel.

Interested participants seeking more information and community members willing to volunteer on the day can contact the Halcro Street Community Centre on 4194 2441.

SLOW COMPUTER

FRASER Coast builders and construction workers wanting to learn more about preventing erosion and soil loss on worksites are encouraged to attend a free seminar and field day in Maryborough.

Cr Michelle Byrne said Council has teamed up with TOPO Group to provide the training at the Maryborough Showgrounds and Equestrian Park on Friday 27 September from 8am to 2pm.

“The Fraser Coast region is growing rapidly as more and more people realise this is a fantastic place to live, work and play,” she said.

• Top 20% of Real

“As our region grows, it is vital that our building industry is equipped with the knowledge and tools to protect our natural environment, and that’s what this free seminar and field day is all about.

“Sediment control aims to stop sand, soil, cement and

other building materials from reaching waterways. Effective erosion and sediment control measures are crucial in maintaining healthy waterways and ensuring sustainable development.

“By attending this seminar, builders and construction workers can learn more about their role in safeguarding our community’s environmental future while also improving their operational efficiency and ensuring they comply with environmental laws.”

Cr Byrne said the event would include a seminar on the importance of erosion and sediment control, followed by practical field demonstrations.

“There will also be stalls from suppliers of erosion and sediment control products and services,” she said.

“Effective erosion and sediment control has many benefits, including improving

wet weather working conditions and site access, and reduced stockpile losses. It also means fewer issues with mud and dust, which reduces cleanup costs and ultimately results in fewer public complaints.

“Council is committed to building better communities together, and initiatives like this free seminar and field day seek to achieve that.”

To register to attend this training on Friday 27 September, complete the registration form on the event website www.frasercoast. qld.gov.au/activities-events and email it to enquiry@ frasercoast.qld.gov.au by 13 September to assist with catering. Light refreshments and lunch will be provided on the day.

For more information, contact Council’s Development Compliance Section on 1300 79 49 29.

THE HERVEY Bay Library’s returns room has undergone a significant upgrade, making it easier for members to return library books and more efficient for staff to manage the process.

Fraser Coast Mayor George Seymour said the new system can operate 24/7, allowing staff to spend more time assisting library members on the floor.

“The Hervey Bay Library currently receives over 800,000 returns annually and processes tens of thousands of returns and customer reservations for the Burrum Heads, Howard, Maryborough and Tiaro libraries,” he said.

“In addition, it also manages the cataloguing and distribution of new books for all our Fraser Coast libraries.

“This new system gives us the capability to process 1,800 returns per hour, around the clock if needed.

“This is state-of-theart technology that will automatically scan every item as it comes down the returns chute.

Cr Seymour said every item has a microchipped tag in it which will tell us what kind of item it is and what smart bin it needs to go into.

“Items then go along a conveyor belt system and are

automatically sorted into smart bins ready for shelving or relocation to another branch.

“This allows all items to be sorted by category, so all children’s books are placed in one bin while DVDs go into another, ready for shelving.

“Staff can remotely monitor and display the status of incoming books and bin capacity through a system that also allows for configuring email and phone alerts to notify when bins are getting full

“This automated sorting process also improves workplace health and safety for staff by reducing the need for manual handling and

minimizing the physical strain of bending down to sort books.

“Our new returns system is a game changer for the library team, streamlining operations and enhancing service, reflecting the Council’s commitment to supporting and valuing our libraries as vital community resources.

“This new system is also portable, allowing us to relocate it to the new library when the Hervey Bay Civic Centre is completed in mid2026.”

Library members can return books 24/7 via the return chutes outside the library’s main entrance.

HBNC is thrilled to announce the official launch of the Youth Events Team Initiative (YETI), a dynamic new program designed specifically for young people aged 18-25 on the Fraser Coast.

This new program is all about designing and delivering events and opportunities aimed at making the Fraser Coast more inclusive for young people.

Now, we are looking for volunteer team members eager to get involved and make a difference for Fraser Coast young people.

Narelle Duroux, YETI Manager, said there was a real need to deliver events that specifically met the needs of younger residents.

“At HBNC, we believe the young people of Fraser Coast can truly belong and thrive in their community,” Narelle said.

“We know that everyone deserves a place where they feel safe, connected, and empowered, and we also know that getting involved should be fun, vibrant, and creative.”

Funded by the State Government, the YETI program is an extension of the HBNC Social Enterprise providing training and transferable employment skills for young people, as well as providing an avenue for fresh, new ideas that are the lifeblood of a strong,

inclusive community.

YETI is seeking enthusiastic young people aged 18 -25 to join our Volunteer Events Team.

Members of the Volunteer Events Team will have the unique opportunity to be at the forefront of creating, planning, and delivering events tailored to the interests and needs of Fraser Coast’s youth.

As a YETI volunteer, you’ll play a pivotal role in driving positive change in our community, making it a more inclusive and supportive environment for younger generations.

Volunteers will also gain invaluable experience in key areas such as event planning,

marketing, and budgeting, all while working alongside a passionate team committed to making a difference.

If you’re passionate about making a difference, eager to bring fresh ideas to life, and ready to take on a new challenge, we want to hear from you!

Join us in creating a stronger, more vibrant community for everyone.

For more information or to get involved, please send an expression of interest via the YETI webpage - https:// www.hbnc.com.au/forms/yetiyouth-events-team-initiativeexpression-of-interest

30 September 2024

Contact

directly at:

Darren Senter - 0420 851 532

Heather Senter - 0424 332 293

Brandon Lindeberg - 0427 304 538

FROM a passion project by a couple of Hervey Bay locals to Fraser Coast’s first Artisan Spirit Distillery, The Spirit Collective has had a remarkable journey since its launch four years ago.

Recently, this distillery clinched the coveted “World Championship of Rum” Trophy at the Australian International Rum Awards (AIRA).

The Spirit Collective impressed a panel of internationally recognised judges at the AIRA, a competition dedicated to rum and cane spirits from around the globe.

Competing against hundreds of distilleries, they won the top Trophy for Overproof Rum 50% ABV & Over with their Rum #1 – Old Grog.

Additionally, they secured a Gold Award for Aged Rum 2-4 years for Rum #1 – Old Grog Aged Rum 2-4 years.

Proud head distillers, Daniel Betts and Kane Macready, stated, “This award reinforces our belief that we have great local ingredients and a great

environment to help bring out the best in our Rum#1.”

The Wide Bay area has built a reputation as one of the premier rum-producing regions in Australia. These credentials were further cemented with The Spirit Collective’s recent achievements.

Martin Simons, General Manager of Fraser Coast Tourism & Events, commented, “The award is further recognition of the diversity and strength of our local economy and the growing reputation of local produce, regional wineries, and breweries.”

Mr Simons added, “With the success of events like Maryborough’s Relish Food & Wine Festival and the upcoming Fraser Coast Flavours in Hervey Bay, this award for The Spirit Collective not only benefits our local community but also highlights our region’s unique produce and offerings on national and international stages.”

Betts and Macready began

learning the craft a number of years ago and are continually refining their products to suit personal tastes.

Encouraged by friends and family, they turned their passion into a business that has proven to be on the up and up.

Mr Betts expressed pride in his team’s attention to detail in creating world class rum, looking forward to seeing how their rum ages in ex-Bourbon and ex-Cognac barrels imported from Europe and America.

“Previously, our Rum#1 received a Silver award in the 2023 rum awards, so it’s great to see our hard work and dedication paying off,” he said.

The Spirit Collective offers a range of products, including popular Gins (Origin and Raspberry), Vodka, Rums, and the unique Rocky Road liqueur.

Their products are available locally at venues and other hospitality venues across Queensland.

• Caravan Fitouts

• Lithium Battery Options

• 4x4 & Canopy Fitouts

• Lift Kits & GVM Upgrades 0423 268 266

• A focus on good customer service from the moment of entry until departure

• To provide you with the highest standard of dental care in a safe and healthy environment

• To strive for pain-free and positive treatment outcomes

• A fair and competitive pricing structure

• To make every effort to run on time, our aim being to see you within fifteen minutes of your appointed time

• Manageable treatment plans

• To make every endeavour to see you on the day if you have an emergency

• Child-friendly environment to allow your little ones to feel relaxed and comfortable

ANITA Taylor, a valued HBNC staff member, has recently completed her Certificate III in Community Services, marking a significant milestone in her professional journey.

Anita’s journey through the traineeship allowed her to transform theoretical knowledge into practical skills, a crucial aspect of her development.

“My training in the Certificate III in Community Services has equipped me to work in a variety of community service capacities,”

Anita shared.

“It has equipped me to work with people with disabilities, individuals from diverse cultural backgrounds, case management, individual needs planning, health and well-being strategies, and at-risk populations.”

Anita emphasised how the traineeship has been instrumental in preparing her for the demands of the community services field.

“This Certificate III traineeship in Community Services has helped me in my role by giving me practical skills and industry knowledge, better preparing me for various positions in the community services field while setting me up for further education and career growth and offering networking opportunities,” she explained.

Anita’s passion for community services is evident in her advice to others considering this career path.

She believes the certificate offers a unique opportunity to make a tangible difference in the lives of individuals and communities.

“For anyone wanting a career

where you can really make a difference and feel good about what you do, consider a Certificate III in Community Services. This course teaches you the skills you need to help people and communities, and it can lead to many different job opportunities in a growing field,” she said.

Highlighting the high demand for community service workers, Anita pointed out the promising job prospects for those entering this field.

“There’s a big demand for

community service workers, so you’ll have a good chance of finding a job. Plus, the hands-on experience you’ll get through work placements will let you apply what you learn and meet people in the industry,” she noted.

Anita’s achievements and her dedication to community service underscore the value of vocational education and training in empowering individuals to make a positive impact on the world around them.

THE FRASER Coast has seen a lot of rain, and with the transition to warmer weather, we start to see the blooming flowers.

We are moving away from the season for common colds and influenza.

However, the ticklish cough, sneezing and runny nose has returned.

Many of us, spring heralds the onset of seasonal allergies.

Due to the increased rain this season, there is likely to be a surge in pollen levels, as trees, grasses, and flowers begin to bloom.

It is important to understand the causes and management strategies to navigate this allergy season.

People will often confuse allergies for a common cold or infection.

Common symptoms of allergies include sneezing, watery runny nose, nasal congestion, itchy or watery eyes, and coughing.

Allergies tend to cause persistent itching, particularly in the eyes and throat, and symptoms may last for weeks or even months, if the allergen is present.

On the other hand, a cold

typically lasts for about a week or two and may be accompanied by a fever and body aches, which are uncommon in allergies.

Like all medical conditions, effective management requires a multi-pronged approach, and this includes combination of prevention and treatment strategies:

Try to stay indoors on days when pollen counts are high. Keep windows closed and use air conditioning to filter out allergens.

Wearing sunglasses outdoors can also help prevent pollen from irritating your eyes.

Regularly washing your hands and face, changing

clothes after being outside, and showering before bed can help remove pollen and reduce symptoms.

Your pharmacist initially can discuss over-the-counter antihistamines, decongestants, and nasal corticosteroids which can help alleviate symptoms.

It is advisable to start taking these medications before exposure to the allergen, as they are more effective at preventing allergic reactions than treating them once they occur.

Nasal saline flushes can be beneficial at reducing the pollen and mucous from the nasal passages.

Antibiotics do not have a role in treatment of allergies. It is important for those with severe allergies or symptoms that are not improving with simple measures it would be prudent to have a discussion with your General Practitioner for an assessment, further investigations or other treatment options.

FRASER Coast residents

eager to learn more about the journey of their yellow recycling bin contents can sign up for a free tour of the region’s recycling centre in September.

Resource Recovery spokesperson Zane O’Keefe said about 8,000 tonnes of mixed recyclables from the kerbside collection of yellow-lid recycling bins were processed annually at the Materials Recovery Facility (Recycling Centre).

“The recycling centre tours will give residents a better understanding of what they can put in their recycling bin and where it ends up,” he said.

“The tours are always very popular, and this year we are running four tours during the September school holidays.

Residents will learn practical tips and tricks for making recycling easier at home and reducing contamination.

“Acceptable items for the yellow recycling bin include packaging, glass jars and bottles, paper/cardboard, hard plastics, steel and aluminium cans and containers. Items such as clothing, batteries and green waste are not suitable for recycling in these bins.

“Council’s website has an A—Z Recycling Guide with a comprehensive list of what goes where. Residents can also download the Recycle Mate app, which helps them recycle wherever they are in Australia.

“The top three recycling rules to remember are – never bag it, take the lids off jars and bottles, and rinse your containers.”

Bookings are essential

as places are limited, and attendees must wear closed-in shoes with access via stairs.

To reserve a spot, call Council on 1300 79 49 29. Tea, coffee and a light morning tea will be provided.

For more information on recycling and to download an A-Z Recycling Guide, go to https://www.frasercoast.qld. gov.au/recycling-guide

IMPOUNDED & ABANDONED VEHICLES AUCTION

10am Tuesday 17 September 2024

Maryborough Airport Impound Yard 30+ Vehicles with NO RESERVE

Lots will start at $175 – Cash & cards accepted. Cars to be paid for & removed by 3pm on the day.

Viewing Monday 16 September 3pm – 6pm & from 9am on the day.

Coal royalties help pay for cost-of-living support

Ask any Queenslander and they will tell you we’re number one. Number one for sunshine and lifestyle. We are also number one to benefit from coal royalties.

Coal royalties help to pay for cost-of-living support like electricity rebates and free kindy. They also help pay for infrastructure and services.

Queensland is the world’s largest exporter of coal used to make steel for wind turbines and electric vehicles needed for the global transition to clean energy. This demand means a record 44,000* people have jobs in Queensland coal mines.

TORBAY Lifestyles & Care are excited to be supporting Dementia Action Week (16-22 September) with a fundraising event supporting Dementia Australia for people impacted by dementia, their families, and carers.

MyWay – Memory Walk & Jog will be held at Pier Park, Urangan on Sunday 22nd September between 7am to 12 noon. The event caters for everyone - walk the leisurely 2km route along Pier Park Urangan or challenge yourself to a 5km course along the picturesque Esplanade.

Over 421,000 individuals are living with dementia in Australia. It stands as the leading cause of death among women and ranks as the second leading cause of death overall. Despite the lack of a known cure, there are treatments available that can alleviate many of the symptoms.

Many people diagnosed with dementia continue to lead active and fulfilling lives for several years. In Hervey Bay, the impact of

dementia is significant, affecting numerous lives, including those at Torbay Lifestyles & Care. The management at Torbay is dedicated to supporting this event to honor their residents living with dementia and to raise essential funds for this crucial cause.

Chief Executive Officer for Torbay Lifestyles & Care, Carrie Chappell, says this is important for their organisation that impacts many of their 250+ residents and families.

“The cause is very close to the heart of our team of over 200 staff who witness the toll dementia plays on the families and carers of our loved residents impacted by the disease.”

“Torbay Lifestyles & Care

are

play a crucial role within this community to raise awareness on Dementia and also in supporting our patients and their families

Across Australia, 1.5 million people are involved in care of friends and family suffering with dementia. In regions like Hervey Bay, the impact of dementia is deeply felt.

over 421,000 people impacted by dementia, their families, and carers. Whether you’re up for a challenging run or stroll on the pier

yourself to a 5km course along the Esplanade.

Join Torbay Lifestyles & Care in supporting the lives of the

- this event offers something for everyone!

Walk the leisurely 2km route along Pier Park Urangan or challenge

Register as an individual or gather your friends and family to form a team and embark on your fundraising journey with a personal online fundraising page. Spread the word and bring your friends, family, work mates and even the dog! It’s a great way to get active and make the world of difference for people living with dementia.

Register or donate via www. memorywalk.com.au/event/torbaymyway/home

Let’s do this Hervey Bay!

IN THE PAST year, the Royal Flying Doctor Service (RFDS) (Queensland Section) aeromedical team helped more than a thousand sick or injured patients from the Fraser Coast region reach the care they needed.

Fraser Coast Regional Council (FCRC) has again done it’s bit to help provide services to the area by waiving over $122,000 in RFDS landing fees at the Maryborough and Hervey Bay airports.

This is a significant increase from last year when FCRC waived $66,000.

Demand for the RFDS across the Fraser Coast continues to grow with an 11% increase in services from the previous year.

More Fraser Coast residents

are using the vital lifesaving care of the Royal Flying Doctor Service (RFDS) (Queensland Section) than ever before.

RFDS (Queensland Section)

CEO Meredith Staib said, the support of Fraser Coast Regional Council continues to be important in the service being able to help such a growing population.

“Fraser Coast Regional Council continues to be a great supporter of the work the RFDS does across the region, and we thank them for that.

“Partnerships with organisations such as FCRC are vital in helping the RFDS achieve its goal of assisting as many people in need as possible.

“We again thank the council for its ongoing support and

look forward continuing such a positive relationship for many years to come,” Ms Staib said.

Fraser Coast Mayor George Seymour said the Royal Flying Doctor Service offers an essential community service, and Council is proud to support the organisation by waiving airport fees through an ongoing sponsorship agreement.

“Our region is the second highest in patient transfers to Brisbane, highlighting how crucial the Royal Flying Doctor Service is for the Fraser Coast.

“Council’s vision is to build better communities together and that’s exactly what this sponsorship agreement with the RFDS achieves,” he said.

13

14 $94

195/65R 15 $119 205/65R 15 $115 205/55R 16 $119

16 $119

16 $124

235/45R 17 $138 235/40R 18 $145

245/45R 18 $155

225/65R 17 $179

245/65R 17 $194

235/60R 17 $169

235/55R 18 $185

16 $225

16 $225

17

FRASER District is inviting the Fraser District community to join them on Tuesday, 10th September at The Brolga Theatre, Maryborough and Pier Park, Hervey Bay to observe World Suicide Prevention Day 2024.

The event is a way of uniting the local community to honour and remember the lives lost to suicide, as a personal tribute for a friend or family member, or to show support for Australians experiencing emotional distress or mental illness.

Sally Holstein, Fraser District Service Lead said Lifeline’s Out of the Shadows walks aim to bring suicide out of the shadows, acknowledging

those touched by suicide and highlighting the importance of human connection for people in their darkest hours.

“This year’s walk will once again provide a safe space for the community to gather and remember the individuals who have lost their lives to suicide and to support those affected by suicide,” Sally said.

Tragically, over 3,000 Australians lose their lives to suicide every year. These people are our family, friends and loved ones. Join us to walk to remember those we’ve lost to suicide, and raise funds to support our crisis support and suicide prevention services.”

You can phone Lifeline to

speak to a Crisis Supporter on 13 11 14, text 0477 131 114, chat to Lifeline online or access the Support Toolkit to self-manage what you’re going through at www.lifeline.org.au (all services are available 24/7).

For over 60 years, Lifeline has been connecting with Australians in need through crisis support and suicide prevention services.

The organisation expects to respond to over one million requests for support this year, creating an average of 120 safety plans to keep a person experiencing suicidal ideation safe every day.

Find out more about the event at www.outoftheshadows. org.au

2024 PREMIER EVENT

SATURDAY 12 OCTOBER

AUTHOR TALKS

Ann-Marie Priest

Maryborough | Customs House | 9 30am-11am

Nick Earls

Hervey Bay | UniSC | 11am-12 30pm

Rachael Johns

Hervey Bay | UniSC | 2pm-3 30p

SUNDAY 13 OCTOBER

WRITING WORKSHOPS

Rachael Johns

So you want to write a romance? Hervey Bay | UniSC | 9am-11am

Vicki Bennett

Start writing! Hervey Bay | UniSC | 12 30pm - 3 30pm

Pub ic l braries are a partnership between Local Government and the Queens and Government through State L brary of Queensland
Ann-Marie Priest Nick Earls Rachael Johns Vicki Bennett

Who do we help?

We support anyone who has been bereaved or impacted by suicide including:

• individuals, families, friends, witnesses

• schools, workplaces and community groups

• first responders and service providers

To find more information and free resources please visit standbysupport.com.au

Many people are impacted by each suicide death including family members, close friends, kinship groups, colleagues and whole communities.

FRASER Coast Regional Council is on the hunt for hidden talent to join in the fun at this year’s Seniors Talent Quest at the Hervey Bay RSL Club on Sunday October 27.

Seniors Liaison Officer Juls De Waard is encouraging anyone over 50 with a talent to enter this year’s Senior Talent Quest, as a grand finale to Senior’s Month activities.

“The event promises to be a spectacular showcase of senior talent. Whether you’re a singer, musician or dancer, there are six categories to choose from, offering something for everyone,” she said.

Last year’s ‘Best Group Act’ winner, the Hervey Bay Inspirations Singing Group, is already hard at work rehearsing their performance for this year’s show.

Sylvia Friend, who has been with the Inspirations for eight years, said the group is thrilled

to return to the stage with the talent quest a highlight of the year.

“The more people who enter the show the better,” she said.

“Whether you are performing or simply coming along to watch the show, you are guaranteed a great afternoon with lots of laughs and some seriously good singers!”

Ms De Waard said the Talent Quest is planned for Sunday, 27 October, at the Hervey Bay RSL Club and will follow the format of TV shows like Australia’s Got Talent, with a panel of judges awarding prizes in each category.

“The entry fee for competitors is $5 and tickets to attend the event are $5 which includes afternoon tea and can be pre-purchased from the Halcro Street Community Centre at 30 Halcro Street, Pialba. Doors will open at 3pm on the day for a 3.30pm start.

“The Seniors Talent Quest is one of many events which will take place during Seniors Month throughout October.

“It’s all about bringing people together, uniting them through shared interests and promoting positive community attitudes towards older people and ageing.”

Seniors Month programs will soon be available online via Council’s website, or hard copies will be distributed to Council’s Customer Service Centres, Libraries, and Local Seniors Services. frasercoast. qld.gov.au/seniors.

Tilt Train and Spirit of Queensland

Proudly sponsored by
StandBy – an initiative funded by the Australian Government.

LESLIE Raveneau, affectionately known as Les, was born in 1967 in the small town of Moree, New South Wales, nestled on the banks of the Mehi River.

Les has an identical twin brother named Percy, and the bond between the two is palpable. Les is older by five minutes.

Their mother, unaware she was expecting twins, was shocked when Percy arrived as she was wheeled back to the ward.

Les has six siblings—two older brothers and three sisters on his mother’s side, and stepsiblings on his father’s side.

The connection between all the siblings is strong, especially after their mother passed away from cancer seven years ago.

She was the family’s rock, and her loss was felt profoundly.

His mother, a single parent from when the children were very young, worked tirelessly to provide for her family, always putting her children first.

“Mum always told us to be ourselves and to be kind to others, no matter what,” Les recalls. This wisdom has guided him throughout his life.

In his later years, Les developed a close relationship with his biological father, a taxi driver in Moree.

Les and his twin often rode in his father’s cab, not realising he was their dad.

The twins thought they were on a good wicket as the driver never charged them. One day Les told his mum about it, and she revealed the truth.

After that the brothers grew closer to their father, maintaining a strong

bond until his passing four years ago.

Les attended Moree East School before being sent to a private boarding school in Orange, New South Wales, at age thirteen, along with his twin brother.

Initially homesick, they soon adapted and embraced their new environment.

The brothers were thrilled when they saw snow for the first time, Les recalls with laughter, “When we both saw the snow, we got excited and ran off.

The staff finally found us on the main oval, lying in the snow making snow angels and having the time of our lives.”

Sports have played a significant role in Les’s school life. At just fourteen, he and his brother were selected for their school’s First Eleven cricket team, a proud

achievement for them both.

Les still enjoys sports and was recently selected for the Queensland cricket team again.

A little-known fact is that Les and Percy were also tennis coaches in Sydney for many years.

During his school days, Les even had the chance to play tennis with Todd Woodbridge.

In 1996 Les moved to Hervey Bay with his wife where his three children—Jaimi, 27, Sam, 25, and Hallie, 23 were born.

Les and his former wife have remained good friends.

As a proud member of the Gamilaroi tribe, one of Australia’s largest Indigenous nations, Les cherishes his heritage and has ensured his kids also have a strong connection to their roots.

Les has been the Indigenous

ARE YOU THINKING OF SELLING YOUR HOME?

Down to earth, reliable and client focused, Stacey Pyne is the ideal choice for your real estate transaction in today’s growing market. With over 10 years experience in the industry, her marketing techniques, attention to detail, communication and negotiation skills are second to none.

Stacey views the opportunity to be part of such a large decision, whether it be the sale or purchase of your biggest asset, as a privilege.

If you are thinking of selling, or just want to have a chat about today’s market, contact Stacey today.

Engagement Officer at the local university for nearly eight years, a role he loves because it focuses on helping others achieve their goals.

The word community runs deep.

Les helps organise NAIDOC Week events each year and serves on the Fraser Coast Mates committee, which focuses on mental health.

A five-year veteran of the Dunga Derby by Rally for a Cause, he found this year’s event particularly special, as it marked the rally’s tenth anniversary and included a drivethrough of his hometown of Moree. Les is a man of many talents; he is also an artist and created the Yabaa Gallery a few years ago.

His artwork has been featured in art exhibitions, displaying his creativity to a wider audience.

Take advantage of FREE GREEN WASTE DISPOSAL

at Council’s waste facilities!

to 4m3 or 1

Up to 4m3 or 1 tonne of green waste can be taken to Council’s waste facilities for free (excluding Aramara).

Please ensure that branches are no longer than 1.2m in length and 40cm in diameter.

Council recycles your green waste into mulch, which saves landfll space, reduces emissions, and promotes a circular economy.

Illegal dumping: It is an offence to put your garden waste onto land that does not belong to you. Fines apply!

Thea Moyes stitches patches together effortlessly on the sewing machine
Vicki Nielsen from Van Cootens Howard Drapery sells her wares Joyce Atkins from Hervey Bay Spinners, Weavers & Fibre Artists
Quilter Bernadette Savage with her creation aptly named ‘Teddies Picnic’
Theresa Rule & Glenda Kamen sell everything crafty at Patchwork on Pallas
Sisters Joyce Dovaston & Marie Brown appreciate the quality of handmade products
Enjoying the quilt exhibition were Ella McKenna, 9 & Anne McKenna
Robyn, Dawn, Betty, Carol & Judy were whipping up the Devonshire teas

TRACTORS/VEHICLES: Lamborghini 774-80 with McCormick loader air cab 4wd (4in1 bucket, forks, blade, 2471hrs), Ford 5000 rops, Ford 5000 rops, 2015 Road Worthy Toyota Hilux single cab 4wd diesel (one owner, 88,300klms), 1979 Hino KL series truck with 18ft crate (RWC).

MOTORBIKES/QUADS: C Force 400 quad bike 4wd (307klms, as new), Kawasaki 360 quad bike, Yamaha XT250 motorbike (RWC), Yamaha 200 AG bike, Yamaha 200 AG bike.

IMPLEMENTS: Seabrook 9ft seeder (as new), Howard EHD series 6ft gal slasher, Ford 20 plate wheeled offsets (new spacers & bearings), Superior 7ft slasher, 9ft trash rake, 7 tyne chisel plough, 2 furrow C tyne ripper, Vicon fertilizer spreader, Sitrex fertilizer spreader, post hole digger with 4 augers, front bucket for tractor, 2 x carry all, 2 x lifting jibs, 3 point linkage hydraulic forks, 200lt 12 volt sprayer, 50lt 12 volt sprayer.

CATTLE EQUIPMENT: James stock saddle Ringer Mark11, James stock saddle Santa Mark11, 2 x stock saddles, assorted saddlery, 2.35 x 1.8 galvanised stock crate, branding furnace, brands, barb wire, 360 x split posts, round bail feeder, 4 ton grain feeder, troughs, jiggers, burdizzos.

COLLECTABLES: Timber out house, camp ovens, bakerlite radio, blacksmith forge, assorted axes (Kelly, Plumb, HB, Elwell), Castrol oil bottles, oil cans, cast iron bath, tram wheels, adze, cross cut saws, 11 x milk cans, sythe, separator parts, sulky seat, bottles, tins, bike, hinges, 2 x bullock yolks, retro table/chairs, animal horns, jacks, cow bells, & more.

CHAINSAWS AND TOOLS: Stihl MS 661C Magnum (as new), Stihl 036, Stihl 051AV, Husqvarna 365, Husqvarna 300 with atom borer, atom borer (new), 2 x air compressors, socket sets, spanner sets, air tools, grease guns, drill press, electric tools, hand tools, garden tools, Makita cordless drills, bench grinder, Boc Inverweld welder, Makita drop saw.

MISCELLANEOUS: Cox 11.5hp ride on mower, Honda fire fighter (new), Honda pump, cement mixer, farm trailer, 2 x push mowers, extension ladder, trestles, fire lighters, work benches, shed cabinets, safe, gun safe, drum pumps, stainless sprayers, electric fence, Stihl blower, hydraulic rams, tap fittings, poly fittings, nuts and bolts, chains, welding rods, saws, concrete pipes, assorted timber, gal posts, railway iron, tank stand, poly pipe, wire rope, roofing iron, 44 gal drums, pallet of Urea, timber doors, assorted household items, safety signs, fork extensions, timber gates.

4

4

Slade & Aletha Walters

NOTHING MORE TO SPEND ON OUR TURNKEY PACKAGES

Seven star energy efciency rating

Colorbond roof with ceiling insulation, fascia and gutter

Wide range of bricks from Austral with sisalation

Concrete floor slab

Bradnams aluminium windows and glass sliding door

Safety screens to all windows and doors

Plasterboard internal wall lining, coved cornice, skirting boards and architraves

• Entrance door (builder’s range)

• Floor coverings, carpet to all bedrooms, WIR, and lounge area, builders range from Andersens floor coverings

Vinyl plank OR tiles to entry, kitchen, dining and hallway

Tiles to all wet areas (Builder’s Range)

Tiles to Kitchen splashback, Bathroom, Ensuite, WC / Laundry

• Kitchen - Laminated kitchen cupboards and bench top

Kerry Campbell Homes are Hervey Bay’s house & land specialists. Servicing the region for more than 25 years. Building quality, afordable homes to suit any budget.

• Bathroom & Ensuite

Builder’s range vanity to bathroom and Ensuite with flick mixer tapware and mirror over vanities. (Builder’s Range)

• Ceramic hot plates with fan forced oven and rangehood (Builder’s Range)

• 1510 Acyrlic bath with bath mixer tapware. Showers to bathroom / Ensuite as per plan hand held shower kit and shower mixer tapware.

• Double Chrome towel rail to bathroom and ensuite and toilet roll holders to wc and ensuite.

• 1 NBN data point. Toilet suite (builder’s range) Smoke detectors where indicated

• TV antenna, 1 TV point All double power points Energy efcient light fittings

• Built in wardrobes to

fenced to house alignment w gates & returns

Verticals to all living areas Ceiling fans (builders range) Patio as per plan

• Letterbox Electric hot water system

All plans subject to Fraser Coast regional council approval Full termite treatment (introduced 01/01/01) - note - annual inspection recommended by suppliers Quality paint

View By Appointment

Price $839,000 Web rh.com.au/herveybay/L27750775

61 Waterview Drive, Dundowran Beach

Coastal Home on 1/2 Acre with Expansive Deck and Two Sheds

Discover the allure of coastal living with this charming retreat nestled on a half-acre lot in the serene surroundings of Dundowran Beach. Offering a perfect blend of coastal charm and modern comfort, this home is ideal for those seeking a peaceful retreat by the sea.

This home boasts four bedrooms, providing ample space for family and guests. The main bedroom, located upstairs, features an ensuite bathroom for added privacy and comfort.

Step onto the spacious deck and bask in the tranquility of your surroundings. With ample space for lounging, dining, and entertaining, the deck is the heart of outdoor living.

From the inviting interiors adorned with natural textures to the large windows that flood the living spaces with natural light, every detail of this home evokes the essence of coastal living. Relax in the cozy living area or prepare meals in the well-appointed kitchen, complete with modern appliances and ample storage.

The property features two sheds, including a rear shed with impressive dimensions measuring 9x9m. This generous space provides ample room for storage, workshop activities, or even the possibility of conversion into a guest house or studio, offering endless potential for customization and creativity.

Hervey Bay 4128 2188

357 Esplanade, Scarness rh.com.au/herveybay

View Saturday 7th September - 9.00-9.30 am Saturday 14th September - 9.45-10.15 am

Price $478,000 Web rh.com.au/herveybay/L29099872

112/396 Esplanade, Torquay

Fantastic Esplanade Location

Experience the ultimate in coastal living with this spacious 2-bedroom apartment, perfectly positioned opposite the beach. Ideal for both homeowners and investors, this property offers a seamless blend of comfort, convenience, and resort-style amenities.

The apartment features a thoughtfully designed layout, ensuring ample space for relaxation and entertaining. The main bedroom includes an ensuite, providing a private retreat, while the second bedroom is well-sized and ideal for guests or as a home office. The open-plan living and dining areas flow effortlessly, creating a bright and inviting atmosphere that enhances the beachside lifestyle.

For your convenience, the building is equipped with a lift, ensuring easy access to all floors. Additionally, residents can enjoy the on-site pool, perfect for unwinding without leaving the comfort of your home. The property’s prime location across from the beach means you can start your day with a stroll along the shore or simply relax and enjoy the coastal views from your apartment.

With its proximity to cafes, shops, and other local amenities, this apartment offers the ideal combination of a relaxed, beachside lifestyle with all the modern conveniences. Whether you’re looking for a serene retreat or a high-demand rental investment, this property is an outstanding opportunity.

Hervey Bay 4128 2188

357 Esplanade, Scarness rh.com.au/herveybay

View Saturday 7th September 2024 - 11.15-11.45 am

Saturday 14th September 2024 - 11.15-11.45 am

& 12.45-1.15 pm

Price On Application Web

15 Shell Street, Urangan - Stage 2, Fauna Lakes

In a League of Its Own

Searching for a unique place to call home that stands out? 15 Shell Street, Stage 2 Fauna Lakes, offers high quality, executive designed lakeside villas that are sure to impress within a secure gated complex. With a mix of lake view and dry block living, this gated complex of only 11 villas is an exclusive retreat. Five villas overlook the serene lake, while six feature private courtyards. These 3-bedroom villas include a luxurious master suite with an ensuite and double vanity, perfect for those who value personal space. The designer kitchen is ideal for entertaining, and three of the villas even offer a media room for ultimate relaxation.

View Saturday 7th September 2024 - 11.15-11.45 am & 12.45-1.15 pm

Saturday 14th September 2024 - 1.30-2.00 pm

Price $665,000

Web rh.com.au/hervey bay/L29106384

3 Bay Park Road, Wondunna

Family Home in a Quiet Neighbourhood

This home is perfect for a growing family or those needing extra space. The spacious, light and airy master bedroom has a walk-in robe and an ensuite providing the perfect sanctuary. The functional kitchen leads to the versatile living/dining area, ideal for entertaining or family gatherings both inside or outside on the undercover patio area. The back yard within this 650m² block offers plenty of outdoor space for activities and family fun. Located close to reputable schools, making the morning commute easy and stress-free. This property is nestled in a peaceful neighbourhood, providing a serene environment and easy access to a nearby park with BBQ facilities, perfect for family outings and recreational activities.

Hervey Bay 4128 2188

357 Esplanade, Scarness rh.com.au/herveybay

35 Endeavour Way, Eli Waters

Picturesque Waterfront

Perfect for those seeking a comfortable and harmonious living space, this property boasts modern construction and design elements to cater a relaxed yet sophisticated lifestyle. Thoughtfully arranged throughout, the design maximises breathtaking views and offers direct sightlines to the water from nearly every major room. A large undercover outdoor entertainment area is ideal for hosting gatherings or enjoying spectacular sunset views over the canals, while a spacious media room offers a dedicated space for entertainment and relaxation.

View Saturday 7th September 2024 - 9.00-9.30 & 1.30-2.00 pm

Saturday 14th September 2024 - 9.45-10.15 am & 2.15-2.45 pm

Price Submit Offer Web rh.com.au/hervey bay/L1070558

63 Gundesen Drive, Urraween

Secluded Grandeur

4 5

Located in a highly desirable neighborhood, this family home offers privacy and convenience, being just a short distance from all essential amenities. The custom-designed kitchen serves as the focal point of the home, overlooking the open-concept living area. The master bedroom, offers a walk-in wardrobe and a stylish ensuite lined with designer tiling. A second living area ensures plenty of room for everyone. The private, covered deck with plantation shu ers is an excellent space for entertaining family and friends.

View Saturday 7th September 2024 - 11.15-11.45 am

Saturday 14th September 2024 - 10.30-11.00 am

Price Submit Offer Web rh.com.au/hervey bay/L29268483

Hervey Bay 4128 2188

357 Esplanade, Scarness rh.com.au/herveybay

553 Oregan Creek Road, Toogoom

Beachside Air BnB Opportunity

This amazing home is designed to capture the sea breeze whilst being within walking distance to the beach. With 3 amazing bedrooms and 2 bathrooms this home is the quintessential “Beach House”. Flowing internal rooms mean the living space is light/bright and cheery. The kitchen is at the rear of the home adjacent to the dining area and rear deck. Front and rear decks, good sized rear yard with a powered shed onsite, a garden shed compliments the back yard for all storage needs. Parking for a boat/trailer or an RV too.

View Saturday 7th September - 12.45-1.15 pm Saturday 14th September - 9.00-9.30 am

Price Submit Offer Web rh.com.au/hervey bay/L27041478

15 Mitchell Avenue, Craignish

Once in a Lifetime!!!

This contemporary designed generous family home effortlessly blends open plan living providing a relaxed ambience, ideal for entertaining and dining. Seamlessly flowing to the outdoor living spaces with a central focus on the endless sea views delivering a relaxed carefree lifestyle where cool ocean breezes and open spaces are never far away. The fully selfcontained two bedroom pool side bungalow comes with superior finishes, stone bench tops, Italian tiles, private deck, magnificent views and only meters away from the inground sparkling pool.

View By Appointment

Price Submit Offer Web rh.com.au/hervey bay/L1074671

66-68 Longview Drive, River Heads

2 3

Stunning Sea View Property and Needs to be Sold Now

A real gem awaits you here, and the owner needs to move it along. Situated in an elevated position in River Heads Turtle Cove Estate. The home consists of 3 good sized bedrooms, with sweeping sea views towards K’gari (Fraser Island), 3 bathrooms, separate lounge, modern kitchen and dining family room with sliding door to the large verandah with stunning views. Double garage, laundry and internal access to the home on a landscaped 2293m2 block.

View Saturday 7th September 2024 - 1.30-2.00 pm

Saturday 14th September 2024 - 12.45-1.15 pm

Price $865,000

Web rh.com.au/hervey bay/L1072065

102

Charming 4-Bedroom Home in a Central, Quiet Neighbourhood

Nestled in a peaceful and central location, this beautiful 4-bedroom home offers the perfect blend of comfort, convenience and space. Each bedroom provides ample space for relaxation and personal retreat. The main bedroom boasts an ensuite as well as wardrobes. The heart of this home is its open plan living area, seamlessly integrating the living, dining and kitchen spaces. This design fosters a warm and inviting atmosphere, perfect for family gatherings and entertaining guests.

View Saturday 7th September 2024 - 9.45-10.15 am Saturday 14th September 2024 - 10.30-11.00 am

Price $668,000

Web rh.com.au/hervey bay/L28940053

Hervey Bay 4128 2188

357 Esplanade, Scarness rh.com.au/herveybay

2 3

4 Waigani Avenue, Kawungan

Act Now, Your Coastal Living Beckons

This well constructed family home has been strategically designed in a way to capture the sea breezes and views over Hervey Bay. Situated on a 600m2 block, the rendered masterpiece has three inviting bedrooms, with the comfortable main bedroom featuring an ensuite, a walk-in wardrobe and sliding doors leading out to the veranda. The kitchen is positioned in the heart of the home overlooking the lounge and dining room which both lead onto the veranda, ideal for entertaining guests.

View By Appointment

Price Submit Offer Web rh.com.au/hervey bay/L30082432

2/15 Shell St, Urangan – Stage 2 Fauna Lakes

Luxurious Living in a Tranquil Lakeside Se ing

Experience lakeside luxury within a secure gated community at the heart of Urangan. This 3 bedroom, 2 car villa is built to the highest of standards by renowned builder Ron Brown Homes. The main bedroom boasts an ensuite and double vanity. The designer fi ed kitchen is perfect for entertaining and leads out onto the under cover entertainment area facing lakeside. Phone to arrange an inspection.

View Saturday 7th September - 11.15-11.45 am Saturday 14th September - 11.15-11.45 am & 12.45-1.15 pm

Price On Application Web rh.com.au/hervey bay/L29181537

Honiton Street, Torquay

12 Walter Street, Tiaro

Country Charm Modern Amenities

This newly renovated home features solar panels, tall ceilings, 3 spacious bedrooms, a versatile front room, and a master suite with extensive wardrobe space. The kitchen is a chef’s dream boasting modern appliances, ample prep area, abundant storage and a butler’s sink with filtration. Enjoy dining with a view on the covered veranda complete with ceiling fans for those warm sunny evenings. There is a secure understory complete with laundry, an extensive workspace and under cover parking with remote gate access.

View By Appointment

Price Submit Offer Web rh.com.au/hervey bay/L28482485

Hervey Bay 4128 2188

357 Esplanade, Scarness rh.com.au/herveybay

1/14 Bentley Way, Urraween

Stunning Value - Premium Build

Pristine 3-bedroom, 2-bathroom house located in the sought-after estate of Highview. This property boasts a modern open plan living area and additional outdoor leisure space, perfect for entertaining guests or relaxing with family. The modern kitchen features highquality appliances, premium fi ings, and ample storage. The property also includes an epoxy floor double garage, providing secure parking for two vehicles.

View Saturday 7th September - 10.30-11.00 am & 2.15-2.45 pm Saturday 14th September - 12.45-1.15 pm

Price $680,000

Web rh.com.au/hervey bay/L28285641

34 South Street, Urangan

The old saying goes “Location Location Location”, being just a short stroll to arguably Hervey Bay’s best beach, 34 South Street certainly hits the mark. With a neat and tidy three bedroom brick and tile home, a great undercover outdoor entertaining space, the scene is set to not only live the fabulous beach lifestyle Hervey Bay has to offer but to also reap the rewards in the years to come.

View Saturday 7th September - 10.30-11.00 am Saturday 14th September - 10.30-11.00 am

Price $625,000

Web rh.com.au/hervey bay/L1074644 1 1 3

90 Esplanade, Point Vernon

This stunning waterfront property offers the perfect blend of luxury and coastal living. This spacious house features 3 bedrooms, 4 bathrooms and a 2 car garage, all situated on a generous 635 sqm land area. The property boasts a modern design with high-end appliances, beautiful architecture, and a balcony overlooking the breathtaking sea views. The interiors are thoughtfully designed with a focus on natural light and open spaces, creating a serene and inviting atmosphere.

View By Appointment

Price $1,990,000

Web rh.com.au/hervey bay/L22119412

141 Moorabinda Drive, Sunshine Acres

Presenting an exceptional opportunity to own a charming 3 bedroom, 1 bathroom lowset brick home set on the front side of a sprawling 10-acre property. An enticing aspect of this property is the potential for future development and subdivision. With current surveyor’s plans in place to divide the property into two 5-acre blocks, there is the opportunity for dual occupancy or the option to create a separate dwelling on the subdivided portion.

View By Appointment

Price $1,222,000

Web rh.com.au/hervey bay/L23238949

9/15 Shell St, Urangan – Stage 2 Fauna Lakes

As soon as you walk through the front door of this villa, the luxurious finish by renowned builder Ron Brown Homes becomes evident. This 3 bedroom, 2 bathroom villa is fully fenced providing additional security and peace of mind. The main bedroom includes an ensuite and each bedroom features ceiling fans and wardrobes. Walk into the designer kitchen which leads to the living/dining area and the outdoor area perfect for entertaining.

View Saturday 7th September - 11.15-11.45 am Saturday 14th September - 11.15-11.45 am & 12.45-1.15 pm

Price On Application

Web rh.com.au/hervey bay/L29181610 2 2 3

Hervey Bay 4128 2188

357 Esplanade, Scarness rh.com.au/herveybay

4 Coventry Court, Urraween

2 2 4

On entering the thoughtfully composed layout provides an inviting yet laid-back atmosphere, immediately drawing a ention to the expansive entertaining area, outdoor gazebo and sparkling inground pool. The large wellappointed chef’s kitchen sits at the heart of the house centrally located in a spacious open plan dining and informal lounge area. The generous main bedroom suite has private access to the pool and entertaining area. Bedrooms two, three and four all have built ins while the fifth bedroom or study is conveniently located at the front of the house.

View Saturday 7th September - 9.45-10.15 am Saturday 14th September - 1.30-2.00 pm

Price $868,000

Web rh.com.au/hervey bay/L27034306

2/21 Cunningham Street, Torquay

This new coastal charm house, by Ron Brown Homes, offers 4 bedrooms, 2 bathrooms, and a 2 car garage, ideal for families. The thoughtfully designed interior blends modern architecture with the latest trends. The open floor plan seamlessly connects the kitchen, dining, and living areas, perfect for entertaining. The chef’s dream kitchen features high-end appliances and ample counter space. Generous sized bedrooms, including a master with ensuite, provide ample storage. Located beachside on Boat Harbour Drive, this property offers easy beach access and stunning coastal views.

View By Appointment

Price On Application Web rh.com.au/hervey bay/L23535111

8-12 Burrum Street, Urangan

Properties in this area seldom come to market, this 4-bedroom, 2-bathroom home is close to local amenities such as schools, shops and hospitals. It is positioned at the end of a cul-de-sac so there is no passing traffic and the kids feel safe playing and bike riding. Great neighbours, good area, you will not be disappointed with this property. Book an inspection as quick as you can because this property will be heavily inspected.

View By Appointment

Price $640,000

Web rh.com.au/hervey bay/L26522720

9/178 Torquay Road, Scarness

1 1 3

Uncover the perfect blend of security, location and spacious living in this centrally situated property. This low maintenance home in a wellappointed complex is designed for comfort and convenience. Downstairs boasts an open plan living area with a spacious lounge seamlessly integrated with the kitchen, which offers ample bench space and storage and comes equipped with an oven and dishwasher. Upstairs, you’ll find three generous bedrooms, including a main bedroom with a private deck and a walkthrough bathroom featuring both a shower and a bath for added convenience.

View Saturday 7th September - 9.45-10.15 am Saturday 14th September - 9.00-9.30 am

Price $498,000

Web rh.com.au/hervey bay/L28462678

587-588 Esplanade, Urangan

Welcome to a prime development opportunity located in Urangan. This expansive 1942m² block is perfect for developers, investors or those looking to build their dream property. This property offers ample space for a variety of development projects (subject to council approvals) including subdivision potential, multi-unit development, or a luxurious single-family home. Currently, the property hosts a home featuring three large bedrooms. This structure could be renovated, expanded, or utilized as a temporary residence during development. A standout feature of this property is the massive garage with internal access.

View By Appointment

Price $1,125,000

Web rh.com.au/hervey bay/L27882061 1 2 3

132 Moorabinda Drive, Sunshine Acres

We present to you a 5 acre allotment that provides a great balance of space and convenience! Surrounded by the beauty of nature, it’s hard not to embrace the tranquility and privacy of your very own tropical oasis featuring 2 dams. Located in Sunshine Acres, you’ll find yourself approximately 10-15 minutes from town which provides the best of both worlds between enjoying the peacefulness of a rural se ing and having easy access to great shopping centres, medical and all that Hervey Bay has to offer.

View By Appointment

Price $550,000

Web rh.com.au/hervey bay/L23984557

Auction Thursday 26/9

Escape to the tranquil waters of Hervey Bay with this unique opportunity at 587588 Esplanade Urangan. Total block size is 1843sqm approx and the lots have been consolidated for rates purposes. This is the quieter section of the Esplanade, surrounded by tastefully renovated or newly built homes, a stone’s throw to the iconic Urangan Pier, the bi-weekly Pier Park Markets and a wide array of dining & shopping choices.

rh.com.au/hervey bay/L28479717

110 Barranjoey Drive, Sunshine Acres

3 16 5

Nestled in the coveted enclave of Sunshine Acres, this luxurious estate on a private 5-acre lot offers unparalleled seclusion. The grand residence features multiple living zones, a chef’s dream kitchen with stone benchtops, and a luxurious parents’ retreat with an ensuite and lounge. Outdoor entertaining is a breeze with an alfresco dining area, BBQ, and a 10x4m saltwater pool. Additional highlights include a three-bay shed, self-contained office/studio, horse paddock, 6.6KW solar power, and stateof-the-art amenities.

View Saturday 7th September - 12.00-12.30 pm

Saturday 14th September – 11.15-11.45 am

Auction 26th Sept Auction - at 7.00 pm - In Rooms

Web rh.com.au/hervey bay/L1070957

Hervey Bay 4128 2188

357 Esplanade, Scarness rh.com.au/herveybay

Commercial Division

Raine Horne Hervey Bay

T: 07 4128 2188

E: sales.admin@ herveybay.rh.com.au

1/383 Esplanade, Torquay

300m2 For Sale

Imagine the possibilities of owning an elegant wine bar in such a desirable location. With the business and freehold premises on offer, this property ticks all the boxes. The Esplanade in Torquay is known for its vibrant atmosphere, a racting locals and tourists alike. With its proximity to the beach, shops, and other amenities, this property ensures a steady flow of traffic. Don’t miss out on this incredible opportunity to own your dream lifestyle in the bustling area of Torquay Hervey Bay.

View By Appointment

Price Contact Office Web rh.com.au/hervey bay/L12986683

200 Boat Harbour Drive, Pialba

345m2 For Lease

This newly built 345m² commercial space is available for lease in a prime location, ideally positioned between a pharmacy and a medical center. Situated opposite The Good Guys in the Spotlight complex, it offers an a ractive shop frontage with an open floor plan. High visibility and signage opportunities make this property stand out, with exposure to over 19,000 passing vehicles daily. A strategic choice for your business.

View By Appointment

Price Contact Office Web rh.com.au/hervey bay/L30150673

2/402 Esplanade, Torquay

228m2 For Lease

Prime retail site on the Esplanade at Torquay on a busy corner location surrounded holiday apartments, shops and across from the beach. 228m2 of space including a fully equipped commercial kitchen with good street appeal and accessible car parking. Ideal location for a restaurant or take away business. Contact us now for further information or to arrange an inspection.

1/36 Torquay Road, Pialba

Shop 1/36 Torquay Road presents an enticing opportunity for investors with a long-standing tenant of over 37 years. Situated in Pialba’s heart, it benefits from substantial foot and car traffic, opposite Bay Plaza Shopping Centre housing Woolworths and other renowned stores. Property highlights include locked side gate access, full air conditioning, unisex accessible amenities, a kitchene e, storage room, front and rear parking, and security cameras covering all aspects of the premises. This 132m2 space offers stability with its established tenant.

View By Appointment

Price Submit Offer

17 Honeyeater Drive, Walligan

This expansive lifestyle garden centre boasts a diverse range of products, from imported pots and statues to plants, fruit trees, and landscaping supplies. Spanning 2 hectares with prominent road frontage, it offers ample retail parking for 16 cars, bulk storage area for container unloads, and purpose-built display areas. The property includes a three-bedroom brick veneer home with an office and its own separate entrance, owner parking including a double garage, with additional space for trucks and staff

View By Appointment

Price Contact Office Web rh.com.au/hervey bay/L1272958

200 Walker Street, Maryborough

126m2 For Sale

This unique property offers a rare opportunity for buyers looking for a versatile space in a convenient location looking to establish a medical centre or allied health consulting practice. Situated on a spacious 1002 sqm lot with its own on-site parking, generous reception area/waiting room and multiple treatment rooms. This property is perfectly located across the road from Maryborough hospital, and is close to schools, shops, and public transportation, making it a convenient and sought after location to set up or expand your business.

View By Appointment

Price Contact Office Web rh.com.au/hervey bay/L27560318

200 Boat Harbour Drive, Pialba

840m2 For Lease

View By Appointment

Price Contact Office Web rh.com.au/hervey bay/L19344791

Are you seeking the perfect location for your business? Look no further. This recently built 840m² open floor plan office space, ideally positioned within the new Spotlight shopping complex, is now available for lease. This commercial property offers exceptional visibility and signage opportunities, a racting over 19,000 vehicles passing daily. Don’t miss this opportunity to establish your business in a high-traffic area with outstanding exposure.

View By Appointment

Price Contact Office

Web rh.com.au/hervey bay/L30214026

20A BRIGHTON STREET
POINT VERNON

A PLACE TO CALL HOME FOR NATURE LOVERS

A hidden gem nestled in nature, this charming abode is perfectly positioned on a picturesque 4,828 sqm leafy parcel, just a short distance from town.

The cosy, steel-framed home is impeccably maintained and features three bedrooms, a bathroom, and an open-plan living/dining area. Enjoy the warmth of the fireplace on cool winter nights or the refreshing air conditioning during summer, with the comfort extending into a functional kitchen equipped with a large pantry and gas cooktop/oven. There is ample garaging and storage, including a three-bay carport, a double Colorbond shed with power, and a garden shed with power, providing abundant space for all your vehicles, vans, boats, and storage needs. With additional features like water tanks, a bore, solar panels, and a dam, this property is designed to keep costs down and efficiency high You can soak in the serenity from the covered rear patio, which opens out to the beautiful grounds filled with an abundance of fruit trees, a veggie patch, a chook pen, and well-established native trees and gardens.

• Three bedrooms all with built in robes and fans

• Open plan living/dining room with air con and wood heater

• Functional kitchen with gas cooktop and oven

• Covered outdoor entertainment area with insulated roof

• Colourbond shed 6 x 7.5m with power, with laundry space

• Two carports (three car spaces undercover).

• Insulated roof, Solar panels (1.5kw)

• 2 x Water tanks (50,000 Ltr), bore water.

• 6 x 3m garden shed with power.

• Chook pen, Vegetable Garden Enclosure

• Seasonal dam with wetland

• Extensive, well maintained, park-like grounds

PYNE 0438 694 307

Step into this immaculate home where every detail has been thoughtfully refreshed from top to bottom.

The modern kitchen is a chef's dream, completely reimagined with a gas cooktop, glass splashback, soft-close drawers, and ample storage, including a pantry and ceiling-high overhead cabinets. Natural light floods the space, offering a seamless view from the kitchen to the expansive alfresco area. The home also boasts two separate living areas, providing plenty of room for relaxation and entertainment. Step outside to the impressive alfresco area, featuring a deck that overlooks the easy-care, landscaped yard and the stunning 8x4 metre pool. The backyard is fully fenced for privacy and security, with a separate section housing a 7m x 6m shed, perfect for parking a large boat or caravan.

Situated on a quiet, no-through road, this corner block provides both a neat street frontage and convenient side access to the backyard. Located in a prime area with easy access to local amenities, schools, parks, and public transport, this property is designed to enhance your daily convenience and quality of life. Combining luxury, practicality, and sustainability, this is a rare find you won’t want to miss.

• Large master suite with ensuite, air-conditioned, fan, and walk-in robe

• Three generous bedrooms with fans and built-ins

• 7m x 6m double bay shed with dual street access

• 8x4 metre pool

• Separate study

• Spectacular modern kitchen with quality stainless steel appliances

• Two spacious living areas, with air conditioning in one

• Huge covered outdoor entertaining area with a TV point

• Fully fenced 852m2 block

• Located in prime position close to shopping, schools and parks

4 SANCTUARY POINT CLOSE, POINT VERNON

A STONE THROW FROM THE BEACH

Welcome to 4 Sanctuary Point Close, located in the highly sought-after Point Vernon. Hidden away among other near-new builds, this property offers an ideal setting just 500m from Gatakers Bay. Only a select few new homes enjoy the privacy of this unique enclave, which is particularly rare in such an established area.

Perfectly suited for a growing family, the property features a spacious kitchen complete with stone benchtops and modern appliances, adjacent to an open-plan dining and living area. An additional living or media room provides multiple spaces for relaxation and entertainment. All four bedrooms come with built-in wardrobes and ceiling fans. The master bedroom includes a walk-in robe and an ensuite bathroom. Outside, a covered entertainment area overlooks the split-level yard.

Placed on a fully fenced 600m2 block, this home is located in a sought-after area close to beaches, shops and schools.

• Fully fenced 600m2 block

• 2020 Wynmor Home

• Kitchen with stone benchtops and modern appliances

• Open-plan living and dining area

• Additional living/media room

• Four bedrooms with built-ins and ceiling fans

• Master bedroom with walk-in robe and ensuite

Inspect By Appointment

• Large main bathroom

• Covered outdoor entertainment area

• Double lockup garage

• Custom 5mx5m shed with awning

• 15 Solar panels (newly installed)

• Close to shops, schools, and beaches OFFERS OVER $724,990

GREAT LOCATION ON THE RIDGE

Experience the ultimate in coastal living with this superbly positioned home on the ridge in Nikenbah. Nestled on an elevated position with guaranteed sea breezes and just minutes from the heart of the city, this property offers both convenience and serenity.

Situated on an 802m2 gently sloping and privately fenced block, this renovated home has been stylishly completed. The modern kitchen features a pantry, dishwasher and overlooks the airconditioned living areas. Enjoy seamless indoor-outdoor living with the living area opening onto the very spacious alfresco, perfect for entertaining. An 8m x 5m powered shed provides extra storage and is easily accessed through the backyard double gates. With guaranteed sea breezes on the ridge, you will also enjoy views to K’Gari. Close to the Fraser Coast Anglican College, public and private hospitals as well as the Stockland Shopping. This beautifully renovated home is priced to sell quickly so be quick to inspect! 8 SUMMIT RIDGE DRIVE, NIKENBAH

• 802m2 gently sloping, privately fenced block with good side access

• Renovated, brick veneered home with two very stylish living areas

• Chef’s kitchen with gas cooktop, rangehood, pantry & dishwasher

• Kitchen overlooking airconditioned living areas & onto the outdoors

• Living areas & master bedroom open onto spacious entertainment area

• Air conditioned, spacious master with walk in robe & ensuite

• All bedrooms have built ins, fans and security screens

• Double remote garage with internal access & solar panels

• 8m x 5m powered shed for the extra garage and workshop

• Excellent side access to the shed & backyard with double gates

• Water tank, frepit area and beautiful low maintenance gardens

Before you consider any other

Perfect for extended family, guests, or even a home office.

Situated on a fully fenced allotment, this property is ideally located close to

a

• 802m2 fully fenced allotment

• Open-plan kitchen and living area with tiled fooring and air conditioning

• Master bedroom with carpet fooring, walk-through wardrobe, and ensuite

• Two additional bedrooms with air conditioning, built-ins, and carpet fooring

• Ceiling fans and security screens throughout A property that blends the

• Main bathroom with a separate shower and bath

• Double lock-up garage with remote access

• Laundry with an extra bathroom and an air-conditioned room, ideal for a home offce, study, or dual living

• Undercover patio area with a large timber deck

• Excellent side access for extra cars, a boat, or a caravan

THREE-BEDROOM HOME WITH SIDE ACCESS

Welcome to 23 Hayden Drive in Kawungan, a spacious and inviting three-bedroom

for relaxation and entertainment, making it perfect for families. Enjoy the expansive outdoor entertainment area, ideal for hosting gatherings with family and friends, or simply enjoying the serene surroundings.

The home boasts a generous double garage and convenient side access, enhancing its functionality. Set on a substantial 1025m2 block, there's plenty of room for outdoor activities and potential future developments. Conveniently located, the property is close to local schools and the Hervey Bay medical precinct. Additionally, it’s just a short drive from Stockland Shopping Centre, the Esplanade, and the stunning beaches of Hervey Bay. This residence offers both comfort and convenience in a sought-after location.

• Three good size bedrooms with built ins and ceiling fans

• Kitchen with ample bench and cupboard space

• Two separate living areas

• Air-conditioning to living areas

• Undercover, outdoor entertainment area

• Double lock up garage

• Garden shed

• Convenient side access

• Close to major shopping and hospital precinct

• Great home for the family or a solid investment property

MARINA LIFESTYLE LIVING

This fully renovated three-bedroom second-floor apartment offers an exceptional location with breathtaking views of the Urangan Marina within the Breakfree Resort complex. The apartment is fully furnished, making it an ideal candidate for an AirBnB, with substantial returns likely due to its prime location and peaceful surroundings. It’s perfect for savvy investors as well as those seeking a serene residence or retirement unit.

• Fully renovated three-bedroom apartment with ensuite

• Second foor unit capturing views and sea breezes

• Air conditioned and open plan kitchen, living and dining with great views

• Three good size bedrooms with fans

• Under cover balcony overlooking the marina

• Single remote-controlled garage

The apartment features three spacious bedrooms, including an ensuite in the master bedroom. The fully renovated kitchen is perfect for cooking enthusiasts, offering ample bench space and plenty of cupboards. The large open-plan living and dining area provides stunning views of the Urangan Marina and Fraser Island For additional convenience, the property includes a single remote-controlled garage and ample visitor parking. Whether you're in search of a profitable investment or a tranquil lifestyle with marina views, this property is definitely worth a closer look. 3 2 1 22/17 BUCCANEER DRIVE, URANGAN OFFERS OVER $550,000 Inspect By Appointment

• Plenty to keep you entertained with access to the resort facilities

• Two swimming pools, tennis court, games room, playground and BBQ

• Located right next to the Marina and the beach

• Walking distance to the Boat Club, restaurants, cafes and cinemas

• Security gated complex with plenty of visitor parking

60 ROYAL DRIVE, KAWUNGAN

CENTRAL KAWUNGAN LIVING AT ITS FINEST

Welcome home to 60 Royal Drive, Kawungan. Situated in the heart of Kawungan, with an ideal location close to all amenities, plus a stylish and modern build, this home has so much to offer. With four bedrooms, two living spaces, a study nook and a great outdoor living space, this home captures family living at its finest. The great sized kitchen, complete with butler’s pantry is in the centre of the home, and has a large gas oven, dishwasher and plenty of storage.

Complete with solar, high ceilings, air conditioning, service window from the butlers pantry and many more features, this should definitely be on your list to inspect.

Situated in the heart of Kawungan, close to all amenities, and the centre of Hervey Bay it offers the best of both worlds – the tranquillity of a suburban lifestyle with easy access to urban conveniences. Don’t delay contact Ash today to arrange a private inspection – 0418 986 867

• Four great sized bedrooms with built-ins and fans

• Ensuite and walk-in wardrobe to main

• Two large separate living spaces

• Kitchen with butler’s pantry and service window

• Covered outdoor living space

Inspect By Appointment

• Air-conditioning - split systems through

• Double lock up garage

• Solar panels

• Stylish and modern build

• Fantastic, central Kawungan location

609m2 OFFERS OVER $899,000 CONSIDERED

SOLD PRIOR TO HITTING THE MARKET

Let us create an amazing sale for you. Use the QR code to start a conversation with us...

4 SEALINK DRIVE, POINT VERNON

A “STONES THROW” TO THE BEACH

• Extremely quiet location close to the beach and parks

• Well-presented brick home

• Three good sized bedrooms & offce

• Kitchen with ample cupboards, dishwasher and a breakfast bar

• Two large, air-conditioned living areas

• Outdoor entertainment area

• Carport with roller door on the house and a roomy sunroom

• 6m x 7.5m powered shed with two roller doors and workbench

• Security screens, three Prowler Proof doors

• Handy garden shed

• 650m2 fully fenced, near level block with side access

• Plenty of room for the boat and the fshing gear here!

4 Sealink Drive is situated in Point Vernon, one of Hervey Bay's most desirable suburbs. In a quiet street and only a "stones throw" to the beach, this hidden gem is in the perfect location for the buyer wanting laid-back lifestyle and the beach life almost at your doorstep. Beautiful beaches, boat ramp and parks are just a short walk away, this property offers both convenience and serenity. This well presented brick home features three good-sized bedrooms, an office, and a kitchen with ample cupboards, a dishwasher, and a breakfast bar. Enjoy two large, air-conditioned living areas and an outdoor entertainment space. The property also includes a carport with a roller door, a roomy sunroom, and a 6m x 7.5m powered shed with two roller doors and a workbench. With security screens, three Prowler Proof doors, a handy garden shed, and a fully fenced 650m2 block with side access, there’s ample room for the boat and fishing gear. 3 1 3

Inspect By Appointment

Land size: 650m2 SOLD

MULTIPLE OFFERS RECEIVED SOLD OVER ASKING PRICE

Let us create an amazing sale for you. Use the QR code to start a conversation with us...

2 ELI COURT, KAWUNGAN

BEAUTIFUL NEAR NEW KAWUNGAN HOME

Welcome home to the beautiful 2 Eli Court, Kawungan. Situated in the heart of Kawungan, with an ideal location close to all amenities, plus a stylish and modern near new build, this home has so much to offer.

As soon as you step inside 2 Eli Court you can appreciate the attention to detail, from beautiful high ceilings, quality fixtures and a great modern layout that uses the space of this corner block to its maximum.

With four bedrooms, two living spaces, a study nook and fantastic outdoor living spaces, this home captures family living at its finest. The large doors and windows allow for an abundance of natural light, and showcase the sparkling pool which becomes a central feature of the home. The outdoor features truly enhance its appeal, with easy maintenance and beautiful gardens, a private and tranquil pool area, plus undercover entertaining areas. Complete with side access and room for toys in the secure undercover area Its location in the heart of Kawungan, close to all amenities, and the centre of Hervey Bay and situated in a quiet cul-de-sac offers the best of both worlds – the tranquillity of a suburban lifestyle with easy access to urban conveniences.

• Four great sized bedrooms with built-ins and fans

• Ensuite and walk-in wardrobe to main

• Two large separate living spaces

• Air-conditioning split systems through

• Sparkling inground pool

• DLUG + carport

Inspect By Appointment

• Solar panels

• Fully fenced with side access

• Stylish and modern near new build

• Fantastic central Kawungan location

MULTIPLE OFFERS RECEIVED SOLD ONE DAY AFTER HITTING THE MARKET

Let us create an amazing sale for you. Use the QR code to start a conversation with us...

FRESHWATER STREET, TORQUAY

RUN, DON’T WALK - UNBELIEVABLE PRICE AND POSITION

Are you looking to invest in one of our state's fastest-growing regional areas? Maybe you're a first-time homebuyer eager to enter an ever-expanding market. Or perhaps you're dreaming of a holiday escape to avoid those chilly Southern winters. Or are you simply seeking a low-maintenance home base to return to between your nomadic travels.

This fantastic townhouse is nestled in the “Moondoora Terraces” complex, consisting of only nine homes, in the beachside suburb of Torquay. Here, you’ll relish the lifestyle that allows you to easily stroll to everything our vibrant Esplanade has to offer, including restaurants, coffee shops, the post office, retail stores, and the stunning Torquay beach.

Recently painted and boasting new timber-look flooring, this townhouse features two spacious bedrooms, a bathroom, a kitchen, and an open-plan living and dining area that opens onto a balcony— perfect for soaking up the winter sun with a coffee and a book. The downstairs area includes a laundry, storage space, and a single garage with internal access.

Well maintained, with fantastic low Body Corporate fees and an ideal location—what are you waiting for? Call today; this gem won’t last long

• Spacious open plan living/dining area with high ceilings, fans, large windows and sliding door onto balcony

• Functional kitchen with ample bench and storage space, near new oven.

• Two good sized bedrooms with built in robes, fans - 1 with air con

• Large bathroom with shower, toilet and vanity

• Balcony

Inspect By Appointment

• Laundry

• Under stairwell storage

• Single garage or could be used as additional living space.

• Low Body Corp fees Approx $1700 per annum

• Small complex of only 9 units

• 2 minutes walk to the beautiful Esplanade

RESERVED

Only 800m to the beach!

RESERVED

RESERVED

RESERVED

RESERVED

RESERVED RESERVED RESERVED 799m2

RESERVED

RESERVED

RESERVED

RESERVED

RESERVED

ocean view acreage FROM $365,000

High on the hill in the charming seaside village of Craignish you will fnd the perfectly positioned Sea Breeze Estate.

Ofering breathtaking ocean views, rural outlooks and fresh sea breezes each one of these incredible half acre land parcels are enhanced by the beauty of their natural surroundings.

Located just minutes away from the Craignish Shopping Village, which features a Foodworks Supermarket, medical centre and pharmacy. Or for those who enjoy an active lifestyle, the Craignish Golf and Country Club and the stunning beachfront are just down the road.

With gently undulating natural ground, Sea Breeze Estate provides versatile building options. Whether you build upwards to maximise the spectacular ocean views or prefer a more,

secluded private residence within the serene countryside. Each lot ofers ample space to create a home that perfectly suites your lifestyle, allowing you to enjoy the best of both worlds – peaceful rural living with modern conveniences close at hand.

Acreage properties located this close to town living are a rarity, don’t miss the opportunity to become a part of this exclusive Sea Breeze Estate community.

With limited lots available, now is the time to secure your place in this highly sought-after development.

Contact Don or Michael from Prime Agents today to learn more and take the frst step toward making your dream home a reality in this stunning seaside location.

www.seabreezeherveybay.com.au

• Lots Sizes From 600m² to 1346m²

• From $285,000

• Discover Te Perfect Canvas For Your Dream Home

• Enjoy Elevated Blocks, With Ocean Breezes

• Construction Has Commenced

• Register Your Interest Today

3

$899,000

This beautifully presented 3-bedroom home on a generous half-acre block offers everything you need, along with room for further enhancements. Situated at 19 Edgewater Court, Craignish, this property combines position, price, and presentation, making it a perfect choice for families or those looking for extra space.

The home features a master bedroom with an ensuite and walk-in robe, along with two additional spacious bedrooms that have built-in robes and ceiling fans. The interior boasts two open-plan living areas with stylish timber-look flooring and a functional kitchen equipped pantry and a single-drawer dishwasher. The extra-large garage offers internal access and could easily be converted into additional living spaces if desired. The home has zoned ducted air-conditioning with tinted windows and has security screens fitted throughout.

Set on a 2010m2 block, the property provides excellent side access, ideal for storing a van, boat, or even installing a pool. There is heaps of room for that large shed should you wish to build. The home backs onto a reserve, ensuring no rear neighbours and added privacy. The home has ecofriendly solar hot water, and a 5,000L water tank. The property also boasts various fruit trees and room for more.

Located in a quiet cul-de-sac surrounded by quality homes, this property is just a short walk to prime crabbing and fishing spots, making it an ideal haven for those who appreciate a serene lifestyle with plenty of space and opportunities for outdoor activities.

To arrange your private inspection please call our office today on 0741 286600 and speak to one of our sales professionals. You will be pleased you made the call.

4128 6600

2 Ansons Road, Dundowran Beach www.rayedward.com.au

19 Edgewater Court, CRAIGNISH

Your Gateway to Coastal Living – Hervey Bay Real Estate Experts

Tayla is a dedicated and experienced property manager with a passion for delivering exceptional service. With over 12 years in the industry, she has honed her expertise in managing a diverse range of properties, taking pride in her attention to detail, proactive approach and commitment to excellence.

When she’s not working, you can fnd Tayla spending time with her family, reading a good book, camping and enjoying all the outdoors has to ofer.

I am thrilled to embark on a new journey in property management. With experience in both reception and management, it has provided me with a great foundation for Property Management. I have a strong commitment to landlord and tenant satisfaction and I’m eager to contribute to the smooth operation of property management while continuing to learn and grow in this dynamic feld.

With four years of experience in real estate property management, Brodie has successfully navigated the dynamic world of property ownership and tenant relations. Her role has encompassed everything from leasing agreements to property maintenance, ensuring that each property under her care operates smoothly and efciently.

She strives to create a positive and thriving environment for both property owners and tenants alike.

When not working you will fnd Brodie spending time with her four kids or at the netball courts where she is the vice president of Hervey Bay Netball.

As a dedicated and detail-oriented property management assistant, I support the success of our property management team in Hervey Bay. With a strong background in administrative tasks, communication, and organization, I ensure seamless day-to-day operations, from coordinating maintenance schedules to handling tenant inquiries. Committed to delivering exceptional customer service and support, I play a key role in maximizing property value and owner satisfaction. Let me help you experience the diference in property management.

As a seasoned property management expert, I specialize in maximizing returns and minimizing stress for property owners in Hervey Bay. With over 10 years of experience in managing a diverse portfolio of properties, I ofer a tailored approach to property management, focusing on proactive communication, efcient maintenance, and strategic rent optimization. Trust me to expertly handle every aspect of your investment, from tenant screening to fnancial reporting, so you can enjoy peace of mind and a proftable return on your investment.

Nikki Thisleton Property Manager Assistant

Nikki has a strong background in management. Being a manager across local gyms and cafes, Nikki is eager to take on a new challenge and grow as a property manager.

Tayla King Senior Property Manager
Nicole Law Senior Property Manager

Your Gateway to Coastal Living – Hervey Bay Real Estate Experts

Raised in Nanango, Roy developed strong values, starting his career in hospitality and gaining a deep understanding of customer service. In 2019, he moved to Hervey Bay and worked in construction, where his attention to detail led to a leading hand position. Transitioning to real estate, Roy combines his skills to ensure clear communication and exceptional service, guiding clients confdently through buying or selling.

Kayla Neilsen- Behrens

Kayla has a strong background in communication and client relationships. Working in the law and real estate industry for numerous years, Kayla understands the importance of her clients needs and requirements.

Hallie is the frst point of contact in the organisation, expertly managing frontdesk duties such as greeting visitors, answering phones, and handling inquiries with professionalism. She ensures smooth operations by coordinating appointments, managing ofce supplies, and maintaining a welcoming atmosphere. Hallie is skilled at directing communications and tasks to the appropriate departments, providing exceptional customer service, and ensuring that every visitor and client feels valued and well-attended to.

Karlie alongside her husband Trent operate Faunt Property Group. Karlie has been a registered nurse at the Hervey Bay hospital for the last 3 years and understands the importance of customer care, communication, and trust. Karlie will be assisting Trent and the team with day to day duties and ensuring our clients are well looked afer.

As a highly organized and detailfocused accounts specialist, I manage the fnancial backbone of our real estate operations in the Fraser Coast Region. With expertise in fnancial analysis, budgeting, and regulatory compliance, I ensure accurate and timely fnancial reporting, rent reconciliation, and expense management. My goal is to provide our agents, owners, and tenants with exceptional fnancial support, ensuring a seamless and proftable real estate experience.

Trent began his real estate career at 20 and opened his frst ofce at 22 in Kingaroy, QLD. He expanded quickly, acquiring two frms to create one of the largest ofces in the South Burnett. Trent was awarded a top 50 sales agent by Realestate.com in 2021. Relocating to the Fraser Coast in 2024, he and his wife Karlie now run a leading real estate ofce with an experienced team.

Halle Blochowiak Reception & Accounts
Liana Vermast Accounts

PROPERTIES FOR SALE

8/230 Pulgul Street Urangan

2 bedroom unit in resort setting

Discover this low maintenance unit at The Domain Urangan. Featuring an air-conditioned open plan living area opening onto the enclosed patio, two spacious bedrooms, main bedroom with ensuite & WIR, and separate bathroom. This home is perfect for first home buyers or retirees looking to downsize. This wellappointed kitchen features a 600mm oven, electric cooktop, dishwasher, large pantry and ample bench-space. Built in 2007 and ofering 100m2 of interior living, plus 140m2 of exclusive use courtyard. Residents have access to tennis court, swimming pool, gymnasium, BBQ’s and lounge/rec area all set within a gated community for your safety and peace of mind.

Price Ofers from $475,000

LISTINGS WANTED

Easy living 3 bedroom home

Don’t miss your opportunity to secure your brand new home in Eli Waters. This low maintenance 3 bedroom home is ideally located close to shops, schools, childcare and future shopping centre and tavern. Make the most of your leisure time with this low maintenance 3 bedroom home. O fering an open plan living area with separate media room and under roof alfresco you’ll have plenty of space to unwind. Due to commence construction end of July, and complete early 2025, this is your chance to buy a new home in a sought-after and convenient location.

Price Contact Agent

We have strong demand for new and established homes from $500,000 to $1m plus. If you’ve been thinking about selling to upsize, downsize, realise a profit or relocate, contact Rod at Marks & Partners Property for an obligation-free market appraisal of your property. With over 23 years’ experience in residential property sales and marketing we can help you maximise the sale price of your property with friendly, professional service and attention to detail.

Scan

Lot 143 Lady Elliot Crescent, Eli Waters

Located on 45 hectares of gently undulating land complete with sweeping vistas of the Great Sandy Strait and Fraser Island, Fraser Vista is arguably the best new water and island view address on the Fraser Coast..

Situated within close proximity to village shops, local schools and Hervey Bay town centre, this is the perfect time to embrace a sea change or start your retirement dream on the Fraser Coast.

• Blocks from 2,000m2 to 2,920m2

View the site at 62 Mahalo Road Booral (eastern end of Mahalo Road)

For more details or to arrange an inspection contact Rod Marks rod@markspartners.com.au 0408 619 491

Rejected by your bank? Maybe we can help.

Are you struggling with overwhelming debt from credit cards and personal loans? Our recent client faced high fees and interest from multiple sources, and their credit score suffered due to too many loan applications.

We stepped in to streamline their finances, guiding them to a suitable lender and restructuring their debts. Previously juggling 1 personal loan, 3 credit cards, and an Afterpay facility, they were burdened with endless repayments.

Now, they’ve consolidated to a single personal loan with a 5-year term, saving thousands in interest while keeping their monthly payments the same. Let us help you achieve similar results—contact us today!

Insights

Lenders assess potential clients based on various criteria to determine whether they will offer loans. These factors create a landscape where clients may receive different responses from different lenders.

Spotlight! Lending policy of the fortnight

Lending policy refers to the set of guidelines, rules, and criteria that a financial institution or lender follows when determining whether to approve a loan to a borrower.

Today’s policy: Debt Consolidation

If you’re overwhelmed by managing multiple debt repayments, even just 2 or 3, consolidating them through a personal loan or by refinancing your home loan can simplify your finances and lower your overall costs. This approach can also boost your credit score quickly. You don’t need to own property to benefit from consolidation, and it can be an effective strategy to reduce your debt more rapidly.

Looking for choice?

Let’s get started Jen Campbell, Managing Director and Finance Broker Now offering in person appointments 0402 946 222 Office 3, 6-8 Liuzzi Street, Pialba QLD info@gofurtherfinance.com.au

Let’s get started.

Turn static files into dynamic content formats.

Create a flipbook
Issuu converts static files into: digital portfolios, online yearbooks, online catalogs, digital photo albums and more. Sign up and create your flipbook.