Hervey Bay Advertiser and Hervey Bay Property Guide

Page 1


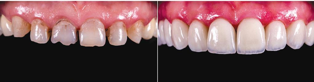
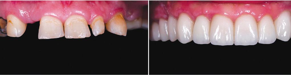
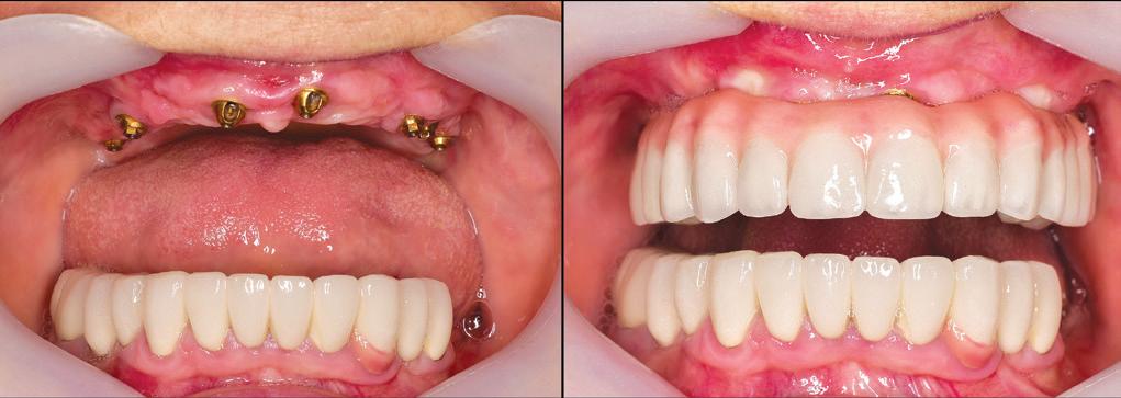
3D imaging your gums for the perfect

If you’re happy with your current FULL dentures, we can copy them for youno impressions required.

DESIGNED DIGITAL DENTURES AVAILABLE NOW IN

Precise CAD designed & manufactured Durable Milled from high impact premanufactured discs

Consistency Same set of dentures can be reproduced many times

Digital backup Can be remade at any point

Customisable Many shades and teeth shapes available

Convenient Faster to make, less appointments

COMPASSION

To Fraser Coast Councillors

On 9/06/23023 I sent an email to council complaining about the lack of footpaths in many areas of Hervey Bay and outlined the dangers to young mothers with children in hand and pushing a pram, having to walk on the road because of no footpath being available.

I have also mentioned this in conversation with the Mayor and expressed my fear of a life, lives being lost.

Well Councillors as I am sure you are aware of the recent tragic hit and run on Doolong road where a young mother

I MAY very well be in the minority here, and yes, I am over 50 years of age.

But I’ve seen a growing trend that leaves me saddened.

In today’s fast-paced, hyper-connected world, mobile phones have become an indispensable tool, facilitating everything from communication to navigation.

They have slowly made their way into formal occasions, with speakers now opting to read their speeches from the very devices we use for everyday tasks.

While this may seem like a modern convenience, I wonder if relying on a smartphone for such an important role, undermines the gravity of the occasion?

At its core, a formal speech—whether it’s at

was killed walking along the road which had no footpaths. Had a footpath been available this tragic incident would not have happened.

I believe this young mother fortunately did not have her children with her or they would have been wiped out too.

Just what will it take for you, Councillors, to understand the obvious danger you are subjecting pedestrians to by not taking this issue seriously and as a matter of urgency embark on a program to create footpaths as a matter of the upmost urgency before another similar tragedy occurs. This whole issue is particularly galling when we

have to accept the outrages cost of your totally unnecessary and very unpopular premises you are constructing for yourselves, and you wonder why your popularity amongst the public is so low.

You, the Councillors of Fraser Coast are paid by the rate payers and from our taxes to serve the needs of the residents of the Fraser Coast not to indulge yourselves in this luxury accommodation whilst such a fundamental need as footpaths is not being provided.

I know there are issues with private roads however a financing arrangement could be looked into there will be a way to get this done.

a wedding or a funeral, a corporate event, or a graduation ceremony, deserves reverence.

The moment is often a milestone, marked by deep thought and emotional weight. To read a speech from a small, glowing screen sends an unintended message, that the significance of the occasion is somehow secondary to convenience.

It suggests an over-reliance on a device that is synonymous with distractions. After all, a mobile phone is the same gadget we use to scroll through social media, answer emails, and check the weather. Is this really the tool we want to represent our most heartfelt and important messages?

There’s a certain gravitas in seeing someone stand at the podium, holding sheets of paper, flipping through pages as they deliver their thoughts.

Paper has weight, both physically and

Please do not ignore this plea because unfortunately without action a tragedy like this will happen again.

Since moving to Hervey Bay eight years ago, I have been a visible, vocal and active member of the Hervey Bay community.

As the son of small business owners, I know the value of hard work, community spirit and civic duty.

I have been proudly and actively involved in the Fraser

symbolically. It shows that the speaker has taken time to prepare, to reflect, and to respect the occasion by giving their words a proper platform. A speech written and read from paper transforms the delivery into an art form, underscoring the importance of tradition, care, and a sense of occasion.

While we live in an age where technology often leads, some rituals should remain untouched. Using paper for formal speeches is not about resisting modernity, rather it is about honouring the significance of human connection, reflection, and respect.

Call me a grumpy old man, but I believe some things are sacred, and how we choose to express ourselves in pivotal moments should reflect that timeless truth.

Coast Hospice Association, Meals on Wheels, Salvation Army Red Shield Appeal, Rotary and the Leukemia Foundation.

I was the Division 9 Councillor on Fraser Coast Regional Council, and it was through my local government representation I thought more could be done on a State level.

It’s why I’m putting my hand up to be your representative in State Parliament.

I have enjoyed a diverse career as a solicitor, registered nurse and army soldier.

My experience as an Australian Army Medic and Theatre Technician, as well as being the Chief Executive

Ultra Tune Hervey Bay

• There are 3 express vehicle services per day across three convenient times:

8am -10am / 10am - 12pm / 12.30pm to 2.30pm

• That’s any log book* or maintenance car service in under 2 hours

• Includes free 12 months roadside assistance* with any car service

*

Open: Mon-Fri 8am-5pm

Officer of various health and aged care services, has given me a solid understanding of the health care sector.

I’m particularly passionate about protecting the safety, security and prosperity of the residents of Hervey Bay.

The current Labor Member is silent on the issues that matter most in Hervey Bay.

The entire Labor government have stopped listening on issues like crime, health, housing affordability and cost of living pressures.

These are the major issues that need addressing in the Hervey Bay electorate.

In the lead up to the 26 October 2024 State Election,

I have been listening to locals in every corner of the Hervey Bay electorate.

The residents of Hervey Bay deserve easy access to health services, safety where they live, respect for where their taxpayer dollars are spent and a government that works for them.

I look forward to working with the Crisafulli LNP team to deliver the right priorities for Hervey Bay’s future.

Therefore, I’m respectfully asking for your support on the 26th October.

or call for clarifications showing she was diligent in her own research, in seeking professional advice and resilient in coping with repercussions should her stance not be popular.

For Sue’s backing of a community effort to prevent an increase in the number of flights flying over residential Urangan, many long-term residents, including myself, are eternally grateful. Let us be grateful for what we have.

p103-104).

Earlier this year an ecologist representing the environmental consultants engaged to prepare an impact assessment for the MCU application of the developers of the “Sheraton Towers” proposal, whilst extolling the features of the development and downplaying the adverse effects of the development, remarkedly stated there was “no recent or historical sea turtle records in the direct vicinity of the development” (Hervey Bay Advertiser - 16 May 2024).

Now is a time to be grateful for what we have in Hervey Bay.

I suggest that Colin (Letter to Editor 3-10-24) looks back through the records.

If he does this without bias, he may come to appreciate the huge commitment and effort elected representatives have applied to their task, resulting in the excellent city we have today – liveable whilst expanding, green and sustainably conscious whilst a haven for recreation.

When Sue Brooks was on Council, we could be assured that Sue would present with queries and questions

Back in 2017, the Fraser Cost Regional Council were considering a proposal to install lights to illuminate part of the Scarness Beach.

They did commission expert advice by Dr Col Limpus, who identified a number of critical issues which included that “the area supports low density nesting of loggerhead turtles, which are listed as endangered species by the Federal and State Governments.”

The planning officer recommended that the “Council take no further action in relation to lighting the Scarness Beach, given the issues identified within the report.” (Ordinary Meeting Agenda - 16 August 2017

Obviously, in preparing his response for Council on the Development Application, the responsible Planning Officer took more notice of the latter advice.

In his consideration of the development’s adverse impacts on coastal resources, processes and values his response was “The Marriott group who operates Sheraton hotels have a very good reputation for being responsible and sustainable and their world standings and 195million club members across the globe are in their words testament to the environmentally sustainable practices of the company.” (Statement of Reasons 14 Aug 2024).

Pathetic, isn’t it?

Whether you are a singer, musician, magician, comedian, dancer, or even a clown, this is your chance to shine!

To enter, contact the Halcro Street Community Centre at 4194 2441 or email juls. dewaard@frasercoast.qld.gov. au for an application form. Sunday 27 October, 3pm to 6pm @ The Hervey Bay RSL. $5 Entry

Bonsai raffles and demos –Vendor tables by Beaver Rock Bonsai. Greentree Bonsai Studio and Bonsai tools, wire, pots and much more.

Entry $3, kids under 12 free Sunday 27 October from 10am to 3pm @ The Neighbourhood Hive, 184 Boat Harbour Drive

Three weekends Oct 11–27 Ten strangers awaken in a mysterious subway station with no idea how they got there. As the train arrives, they must confront their pasts.

Set in a dystopian steampunk 1860s, words are banned, and golden eggs are guarded by Ninja Nuns. A wild, absurd romp through a bizarre world.

GUESTS of Kingfisher Bay Resort had their first look at Illumina recently, as Queensland’s first permanent light show was launched on the western shores of the world’s largest sand island.

The highly anticipated debut of Illumina mesmerised resort guests and dignitaries with the first official show open to the public selling out, and bookings for multiple upcoming shows reaching near capacity for the opening weeks.

Immersed seamlessly into the natural K’gari landscape, Illumina uses cutting-edge lighting to take the audience on an incredible journey, bringing the island’s intricate ecosystem to life and celebrating the World Heritage-listed values that make the destination a global tourism icon.

Joining a long list of naturebased tours and activities offered by Kingfisher Bay Resort, Illumina provides guests with a unique perspective of the island.

Cassie Duncan, Senior Ranger at Kingfisher Bay Resort said the first impressions of the show were amazing. “Guests of all ages were blown away by seeing the island’s natural processes in a whole new light. It’s been magical to watch them connect with K’gari in such an innovative way.”

In an evening hosted by Kingfisher Bay Resort, the launch event was attended by key tourism officials from Tourism and Events Queensland and Fraser Coast Tourism and Events, Members of Parliament and Local

Government representatives, who all welcomed the new chapter of tourism on the Fraser Coast.

David Hay, General Manager of Kingfisher Bay Resort, added, “For over thirty years our resort has been the gateway to K’gari. Illumina is a big, bold move by our pioneering eco-resort, one that we believe will deepen our guests’ appreciation for the island’s natural wonders. We’re looking forward to letting Illumina take us into the future.”

As the first nighttime experience of its kind for guests immersed in an island escape at Kingfisher Bay Resort, Illumina will show nightly and can now be booked on the Illumina K’gari or Kingfisher Bay Resort websites.

SLOW COMPUTER

Fraser Coast’s Freshest Flow ers

A FRASER Coast water grid, revitalisation of the Maryborough and Hervey Bay CBDs, road and footpath upgrades in Howard and a new community centre in Glenwood are among 23 priority projects identified in Council’s ‘Fraser Coast Advocacy Plan’ to take the region forward.

Mayor George Seymour released the plan at a meeting in late last month ahead of the Queensland State General Election on Saturday 26 October.

“Council is committed to long-term planning that ensures infrastructure and services meet the evolving needs of our community,” he said.

“We want to ensure that our liveability is not only maintained but improved as we continue to be one of the fastest growing and most dynamic regions in Australia.

“Recognising Council is not alone in this journey, the Fraser Coast Advocacy Plan sets out a range of projects and priorities that can be delivered through partnerships with the community, key regional business groups and the Queensland and Australian Governments.”

The plan also highlights nine projects for which the State Government is responsible, including an upgrade of the Bruce Highway – Gympie Street intersection at Torbanlea, an upgrade of the Maryborough-Hervey Bay Road to four lanes and a Urangan Harbour Master Plan.

A copy of the Fraser Coast Advocacy Plan 2024 is available on Council’s website at https://www.frasercoast.qld. gov.au/publications

THE SCARNESS caravan park redevelopment is complete, with the park now fully reopened to guests.

Fraser Coast Regional

Councillor Denis Chapman said the Scarness caravan park redevelopment had been completed in stages, with the western end reopened in December 2023 before work moved on to the eastern end this year.

“The existing infrastructure in the park was aging and needed upgrading to suit modern vans, especially RVs,” he said.

“Improvements have included new internal roads, underground power, upgraded water and sewerage systems, new toilets, camp kitchens, and a new manager’s office and residence.

“The redevelopment has resulted in a more modern caravan park tailored to the needs of today’s tourists.”

Cr Chapman said work was also progressing on the redevelopment of the Burrum Heads caravan park.

“The first stage of the Burrum Heads caravan park redevelopment is expected to

be completed early next year, with the entire project set to finish by August 2025, weather permitting,” he said.

“A key focus for Council is to plan for the future, and to effectively manage and maintain our assets, and these projects are an example of how we are working to achieve that for our community.”

Bookings for the fully reopened Scarness caravan park can be made online at https://beachfronttouristparks. com.au/ or by contacting the caravan park managers directly.

OPENING in 2021 and now approaching its third anniversary, Fraser Coast Hospice has provided compassionate care to over 520 clients and their families.

The facility features six inpatient palliative care beds, offering crucial support to terminally ill individuals during the final days and weeks of their lives.

Fraser Coast Motor Centre’s Dealer Principal, Daniel Foley, who also serves on the board of the Hospice, shared his journey with the organization.

“When I first moved to Hervey Bay, I was eager to engage with the community. While we sell cars, we are not saving lives. Contributing to the broader community in other meaningful ways is incredibly important,” said Daniel.

Daniel initially reached out to St Stephens Hospital to explore volunteer opportunities. It was there he was encouraged to lend his expertise to Fraser Coast Hospice, particularly in marketing and raising awareness.

“To be honest, I had to google what a hospice was and how I could help. It has been a life-changing experience for me,” Daniel admitted.

One of Daniel’s first initiatives was donating a Suzuki Swift to the Hospice, which they used for six months to raise awareness.

This effort ultimately generated $18,000 through a raffle of the vehicle.

“Soon after, I joined the board, and my involvement with the Hospice has become a passion I deeply care about,”

Daniel said.

“Fraser Coast Motor Centre is Australia’s longestserving Ford dealership, and community is at the heart of everything we do.

The Hospice shares this same commitment, and this synergy of community focus is why we are proud to support the incredible work they do.”

“The world needs more people like those at Fraser Coast Hospice, and that’s why we believe it’s so important to stand behind their efforts.”

With operating costs

exceeding $2 million this financial year, the Hospice must raise over $725,000 through community and business donations to continue providing highquality palliative care.

“We are deeply grateful for the ongoing support from Fraser Coast Motor Centre’ Chief Executive Officer and Director of Care,” Alicia Trimingham-Turl said.

“Their generous donations stay within the community, ensuring that we can continue delivering vital care to those who need it most. We encourage others in the community to follow Dan and his team’s lead.”

“We have a large workforce, but we are also members of this community, and it is essential to support the region we all call home.”

“We are proud supporters of Fraser Coast Anglican College, Sandy Straits State School, Riverside Christian Collage, and sporting clubs such as Maryborough Bears, Hervey Bay Seagulls, and Hervey Bay Bombers.”

TERRA Tribe Farm was established in 2020 by Matt and Elizabeth, a husband and wife team who grew up here in Hervey Bay.

After years of living a traditional lifestyle, they realised they wanted something more fulfilling than the standard 9 to 5 routine.

Driven by a desire for greater freedom and a closer connection to nature, the couple made a bold decision—they sold their family home and invested in a piece of land 35 minutes out of town.

Their vision for Terra Tribe Farm was to create a self-sustaining homestead where they could grow their own food, live off the land, and embrace a simpler, more intentional way of life.

“We arrived with two shipping containers, a caravan and our five children,” Elizabeth said.

“Five years on the farm is a working farm, we are growing our own food, raising our own meat, living low waste and moving towards sustainability.”

“We still face challenges but our passion continues and we are making progress every day.”

The family run several programs at Terra Tribe Farm, including Forest Kindy, Homeschooler, Afterschool, and School Holiday programs, all aimed at nurturing children's connection with nature and sustainable living.

Recently, they’ve introduced

an exciting new program called Community Composting, designed to engage the local community in eco-friendly practices.

“Here at Terra Tribe Farm, we are passionate about leaving the earth better then we found it. One way is composting the enormous amount of food waste that is put into land fill.”

“7.3 million tonnes of food waste goes into landfill each year, that’s enough to fill 13,000 Olympic sized swimming pools.”

“Well, we want it!”

“All you have to do is collect your food waste and drop it off to us at the farm or the Pier markets.”

“We turn your food waste into compost, this process takes about six weeks.”

“This compost is then used to feed our chickens and pigs and in our market garden to produce food to put back into the community.”

“Each fortnight we will be at the Pier markets with our excess produce from the farm. Customers get to pay what they can.”

To find out more about the composting program, you can contact Elizabeth on 0418 873 503, email terratribefarm@gmail. com or head to their website www. terratribefarm.com.au

A HERVEY Bay nurse whose passion for helping those in need has strengthened and supported countless community initiatives has been named a finalist in the 2024 QBANK Everyday Heroes Awards.

Registered Nurse Jade Marshall is one of 23 finalists selected from across the state for the 10th annual awards which celebrate the exceptional achievements of people within Queensland Police, Fire, Health, Ambulance, Corrections, Public Service, Education and volunteers.

Jade has been recognised in the excellence category for her support of her Fraser Coast community as a frontline worker with Queensland Health and various volunteer roles for local groups and initiatives.

She said being a nurse at Hervey Bay Hospital was a fulfilling role that demanded resilience, empathy and an ability to rise to constant challenges.

“I work with a diverse team of professionals to manage a wide range of acute and life-threatening medical conditions to ensure patients receive the highest standard of care in their most vulnerable moments,” she said.

“I take great satisfaction in knowing that my work contributes directly to saving

lives, whether it’s stabilising a patient after trauma or providing compassionate care to someone in distress.”

She has also had a profound impact on her wider community, with initiatives focusing on inclusion, support, and wellbeing in Hervey Bay.

From assisting the Men’s Walk and Talk group and local All-Abilities programs to volunteering with the J&T’s Homeless Support Initiative, Jade’s kindness touches a wide range of people in need.

“I am passionate about these initiatives because they allow me to connect with and give back to my community in a way that truly makes a difference,” Jade said.

“I believe that everyone deserves to feel supported, included, and valued,

regardless of their circumstances or abilities. I’ve seen firsthand how fostering inclusivity and offering a space for connection can have a profound impact on people’s mental and physical wellbeing.

She said she was honoured to be named a finalist in the QBANK Everyday Heroes Awards.

“This recognition not only motivates me to continue the work I’m passionate about but also inspires me to push even further to help those who need it most,” Jade said.

“It feels deeply rewarding to have my work and dedication to the community recognised in this way, especially knowing that so many deserving individuals are making a positive impact across Queensland.”

Our professional & friendly team is committed to providing

to our patients in a relaxed environment.

MONDAY TO FRIDAY 8AM 5PM

13 $84

14 $94

15 $119

15 $115

16 $119

16 $119 215/60R 16 $124

17 $138

18 $145

18 $155

17 $179

17 $194

17 $169

18 $185

9 Years of 100% Property Management in Hervey Bay

DSB Property Management understands that property management is not Monday to Friday, 9 to 5 and for that reason, we are 24/7 for tenants and landlords alike.

We conduct viewing on vacant properties from 6.30am till 7pm later by appointment, 7 days a week.

We do not make bookings or have set times to show properties, we have someone ready to show a property when it suits the prospective tenant.

We are NOT Monday to Friday 9am to 5pm

HBNC, in partnership with Dunga Derby - Rally for a Cause, will host the inaugural Halloween Trunk or Treat Fun for Families event on Friday, 1 November 2024, from 4PM to 8PM at City Park.

This FREE celebration offers a safe and exciting alternative for local families to enjoy Halloween in a community-oriented and safe environment.

Following the success of the Christmas Lights Wonderland, which attracted more than 20,000 visitors, HBNC has expanded its social enterprise to support a Youth Events Team that is committed to fostering connected communities through engaging youth-led events.

As Halloween approaches, families often walk their

local streets to participate in traditional festivities. However, safety concerns can overshadow the fun.

The Trunk or Treat event will provide a secure, well-lit environment at City Park, allowing families to dress up, visit the Dunga Derbydecorated vehicles with activities delivered from their trunks.

Local charity Rally for a Cause brings invaluable resources and community spirit to this event, setting the stage for a trial run that could expand into a broader initiative involving other community groups in the future.

Rally for a Cause general manager Scott Rowe congratulated the HBNC on the initiative and encouraged

families to get involved.

“This is another great initiative to provide low-cost, family friendly entertainment to Fraser Coast locals and we are delighted to partner with the neighbourhood centre,” Mr Rowe said.

“Our Dunga Derby family raise hundreds of thousands of dollars each year for sick and disadvantaged locals in an attempt to forge a more caring and compassionate community. We look forward to being involved.”

Don’t miss out on this exciting opportunity to celebrate Halloween in a safe, friendly, and connected community setting. Mark your calendars for 1 November and join us at City Park!

AVOIDING THE DENTIST?

• A focus on good customer service from the moment of entry until departure

• To provide you with the highest standard of dental care in a safe and healthy environment

• To strive for pain-free and positive treatment outcomes

• A fair and competitive pricing structure

• To make every effort to run on time, our aim being to see you within fifteen minutes of your appointed time

• Manageable treatment plans

• To make every endeavour to see you on the day if you have an emergency

• Child-friendly environment to allow your little ones to feel relaxed and comfortable

1 William Dean Ave, Urangan (near the airport) P 07 4128 9276 www.blueskydental.com.au

Hours: Mon to Thurs 8.30am-5pm | Friday 8.30 to 1.30pm Outside hours appointments are available by prior arrangement

AS WE head into summer, it’s the perfect time for a 7-day reset to shake off bad habits and feel more energised.

This isn’t a quick-fix diet or cleanse, but a focused, manageable way to reset both mind and body— together.

No gimmicks. Just a commitment to seven days of small, intentional changes. Let’s do this.

For the next week, skip the wine, beer, and cocktails. It’s a shortterm break, and you’ll notice improvements in sleep, energy, and mood.

Plus, cutting out alcohol gives your liver a breather and helps with mental clarity.

reflect, or just be. The mental reset is just as important as the physical one.

Commit to at least 30 minutes of intentional movement every day.

for both body and mind to function at their best.

Make your room a calm, phone-free space to help you wind down.

Whether it’s a brisk walk, a run, lifting weights, Pilates,

Ladies, aim for 2.1 litres of water a day. Men shoot for at least 2.4 litres.

Keep a water bottle with you at all times— it’s a simple step with massive benefits for skin, digestion, and energy levels.

For this week, skip the takeaways. Focus on whole, real foods.

Your body will thank you, and you’ll feel more energised without the extra salt, sugar, and processed ingredients.

Local Learning Network

9am every Sunday Urraween Road - West of Hospital

Research indicates that about one in two people with

In Wide Bay, cancer care provider GenesisCare has employed two clinical research coordinators since 2019 to facilitate increased participation in trials and research projects for eligible patients. Many radiation oncologists and

clinicians in the region also have a special interest in research. Prof. Bryan Burmeister, a radiation oncologist at GenesisCare Fraser Coast, who has been an investigator on more than 25 research projects and published more than 130 journal papers, said that patients play an important role in clinical trials.

“Patients have an opportunity to contribute to cancer care breakthroughs and can potentially access a new treatment, technique or approach to care when they take part in a clinical trial,” said Prof Burmeister.

“Clinical trials have been key to achieving advancements in cancer

treatments over the past two decades. Our goal in research is to enhance treatment and discover new methods that achieve the best possible outcomes for patients,” he said.

Radiotherapy research initiatives and clinical trials within the region have had a range of focuses, including prostate cancer, breast cancer, and skin cancer.

One international trial active in the region is the “EXPERT” study that aims to improve personalised use of radiation therapy in early breast cancer patients by using a genomic test to identify women who can safely avoid this treatment after surgery. In Queensland, this

journey this year I am very much aware of the impacts that research like this can have on patient care.

Tantari, State Member for Hervey Bay, visited GenesisCare Fraser Coast on World Cancer Research Day on Tuesday 24 September, to learn more about cancer research in the region.

“It’s great to see our local doctors, radiation therapists and patients taking part in cancer trials right here in the Wide Bay region. This is an important contribution towards advancing our knowledge of cancer and how best to treat it,” said Mr Tantari.

“Having been on my own cancer

I’m proud to see that Hervey Bay will contribute to the advancement of cancer care through these trials and want to congratulate GenesisCare on their dedication to providing more treatment options for our community.”

GenesisCare’s Head of Research, Sonya McColl, said “It is excellent to see our Wide Bay team’s contribution to the cancer research field with multiple manuscripts published in medical journals. These include a study into radiotherapy

treatments for skin cancer in elderly patients unsuitable for typical surgery procedures, offering insight into different treatment options.

“Another study conducted at GenesisCare in Hervey Bay, researched the use of eye shields during radiation therapy to treat skin cancers around the eye, an underutilised method that creates more treatment options in regional clinics and could save local patients travelling to cities for therapy.”

GenesisCare’s commitment to research aligns with the 2024 Queensland Cancer Strategy, which aims to achieve greater participation in research.

Carla Kerr, Clinical Research Coordinator, GenesisCare doctor Prof Bryan Burmeister and Adrian Tantari, State Member for Hervey Bay

ROTARY members on the Fraser Coast are marking progress towards a Polio free world while helping to end the paralysing disease.

The Cycle, Run or Walk fundraiser is among many to be held around the world in honour of World Polio Day, 24th October.

On the Fraser Coast, Rotarians are inviting community members to join with them in raising awareness, funds and support to end polio, a vaccine preventable disease that still threatens children in parts of the world today.

Rotary Hervey Bay Sunrise President, Kirsti Kee said “many of us can remember children at school who were suffering from the effects of Polio”.

between 7 AM and 9 AM, with participants starting at either the Takura or Churchill Mine Road Trailheads.

You can choose to cycle, run, or walk along the trail, heading from Takura to Churchill Mine Road or in the opposite

“Thank goodness that no longer occurs in Australia, but we need to remain vigilant to ensure this remains the case”.

The Cycle Run or Walk fundraiser will take place on the Mary to Bay Rail Trail, providing an opportunity for community members to explore the Trail. Participants are encouraged to wear red for polio. The event will kick off

direction. The distance from one end to the other is 7.2 kms, with the option to complete the full 14.4 kms for a round trip, or simply cover any distance that suits your pace before turning back.

A minimum donation of $10 per person or $20 per family is required to participate, though many may also choose to seek sponsorship for added support.

Registration is easy—email pitman.glenda@gmail.com to secure a sponsor form in advance or simply register when you arrive on the day. It’s a wonderful opportunity to get active and contribute to a good cause while enjoying the outdoors.

• WHERE Start between 7am and 9am at Takura or Churchill Mine Road Trailheads.

• HOW Cycle, Run or Walk from Takura to Churchill Mine Road or vice versa

• HOW FAR 7.2kms end to end (or any distance and return) or 14.4 kms total return.

• HOW MUCH Sponsorship or minimum donation to value of $10 pp or $20 per family.

• REGISTER for a sponsor form by emailing pitman.glenda@gmail.com (preferable) or register on the day All funds raised on the day will be donated to Rotary’s Global Polio Eradication Initiative. The Gates Foundation has pledged to match funds raised 2:1 for a total annual contribution of $US150 million.

HERVEY BAY to BRISBANE

•QR Tilt Train –Daily

•Greyhound -Daily

•Premier

•Atkinson's Shuttles-Daily

HERVEY BAY to ROCKY

•QR Tilt Train

•Greyhound

•Premier

HERVEY BAY to CAIRNS

•QR Spirit of Queensland

•Greyhound

•Premier TO LONGREACH

•QR Spirit of The Outback

•Greyhound (ex Rocky)

•Greyhound (ex Brisbane)

JOIN OUR TEAM

We currently have a number of opportunities to join the Torbay team including: Registered Nurse

Personal Care Worker

Clinical Nurse Specialist

Lifestyle and Leisure Assistant

People and Culture Manager

About us

At Torbay Lifestyles & Care, we offer a compassionate and respectful environment that prioritises the physical, cognitive, and social well-being of our residents. With services ranging from residential aged care to an independent lifestyle village, our facilities are designed to offer comfort and a high quality of life. We cater to individuals seeking a supportive community that values integrity, independence, and choice.

Join us in making a difference at Torbay, where every day is about enhancing life for our residents and their families.

Why join Torbay

We have a host of great benefits available when you join the Torbay team:

• Up to $18,500 tax exempt salary packaging benefits, plus other options to increase your take home pay

Rewards program giving you discounts to an ever-expanding list of retailers

• Ongoing professional development and learning opportunities.

• Employee assistance program for you and your family

• A nurturing and supportive environment allows for a healthy work life balance.

• Flexible working arrangement

HBNC is excited to introduce the community’s newest reading ambassador, Hervey Bear, following a public vote to choose the name.

Hervey Bear will soon be travelling to various familyfriendly locations around the Bay, sharing stories with children and community members to raise awareness of the importance of reading in early childhood.

Building on the success of the Read Bears project, which has already familiarised many Year 1 students with the joys of reading, this campaign expands the initiative to reach even more children and parents. Hervey Bear’s mission is to encourage early literacy by bringing storytime to life, while also offering families ideas for nocost and low-cost activities to enjoy at home.

HBNC aims to highlight how important reading is for young minds, especially during these critical early years.

Sheenah Heinonen, HBNC’s Families, Children and Youth Manager, said Hervey Bear provided a creative and accessible way to get young children interested in reading.

would also help promote free or low-cost activities families can try at home.

“As cost-of-living pressures rise, it’s important for parents and caregivers to have access to simple, creative ways to engage their children,” Sheenah said.

“Hervey Bear will not only be reading stories in the community but also sharing ideas for fun, low-cost activities using everyday items like jars, bottles, and cardboard rolls.”

“Read Bears is one of HBNC’s best-loved programs, and its popularity in schools throughout Queensland shows that the simple act of reading to a cuddly friend helps spark a love of reading in children,” Sheenah said.

Research from the Australian Institute of Health and Welfare shows that reading in early childhood significantly supports cognitive and language development. With Hervey Bear leading the way,

“We’re excited to expand this concept to include our youngest readers and prereaders, including families who attend Play With Your Kids playgroups.”

Sheenah said Hervey Bear

Families can expect to see Hervey Bear exploring the community, with weekly visits to local parks, libraries, and other popular spots. Each week, Hervey Bear will be featured on Play With Your Kids and HBNC’s social media, showcasing family-friendly locations and providing low-cost ideas to keep children entertained over the weekend.

Follow HBNC and Play With Your Kids on Facebook for regular updates on Hervey Bear’s adventures, storytime sessions, and creative ideas for low-cost activities.

WOULD YOU LIKE TO EARN SOME

HERVEY Bay has long been a retreat for retirees, reflected in its median age of 51, but this idyllic retirement haven is at risk of stagnation if we don’t address the urgent question: How do we retain and attract youth to ensure the city’s future?

Our focus on maintaining a retirement lifestyle is understandable, but we must recognise that if we don’t invest in the next generation now, the community and its vital industries— especially healthcare— will struggle to survive.

The property and development landscape in Hervey Bay must evolve to reflect more than just the needs of retirees.

The demand for diverse, affordable housing is growing, yet our current development model largely caters to an older demographic.

If we continue down this path, young professionals

and families will find it increasingly difficult to live, work, and thrive here.

Can we afford to become a

development plans. Without a shift towards creating jobs in healthcare and other industries, Hervey Bay’s economy and essential services will face a dangerous decline.

How will our hospitals and local businesses survive if the population continues to age without a steady influx of younger, working residents?

city that offers little beyond a retirement lifestyle?

Attracting young people requires more than just houses—it demands a vision.

We must integrate education, health, and technology sectors into our

Balancing growth with lifestyle preservation isn’t just a possibility; it’s a necessity. The question remains: Are we willing to disrupt our own comfort to ensure that Hervey Bay’s future includes the very generations that will sustain it?

Ultra Tune Hervey Bay serving the local community since 1996

Ultra Tune was founded in Melbourne in 1979, with its frst store located in Box Hill. Over the years, the brand has seen tremendous growth, expanding to over 275 locations nationwide and more than 80 in Queensland alone. Today, Ultra Tune stands as one of Australia’s largest independent automotive service and repair networks.

Ultra Tune Hervey Bay, situated in Pialba, has been serving the local community since 1996. During its time in operation, the workshop has been owned by several families, all of whom focused on delivering top-notch customer service to their clients. In November 2022, the business was acquired by Franchisee Andrew Coppens, who has since led the team in growing and improving the facility.

Since taking ownership, Andrew has expanded Ultra Tune Hervey Bay to accommodate a larger team and increased capacity. The workshop now boasts fve work bays and hoists, fve skilled technicians, and a dedicated Service Adviser. The team is committed to providing honest, reliable, and professional services, ensuring that customers leave satisfed and their vehicles are in excellent condition.

Ultra Tune Hervey Bay offers a comprehensive range of services, including Manufacturer’s Log Book Servicing, annual and bi-annual vehicle maintenance, brake services and repairs, air-conditioning servicing and repairs, clutch replacements, Safety Certifcates, driveline repairs, gearbox replacements, and suspension work. Additionally, they provide general vehicle repairs, tyre supply and ftting, and in-house wheel alignments.

Whether you’re in the private, corporate, or government sector, Ultra Tune Hervey Bay has something to offer. They provide three express service booking slots each day (8 AM - 10 AM, 10 AM - 12 PM, and 12:30 PM - 2:30 PM) and offer early drop-off options from 7 AM. For those with nontraditional work schedules, such as shift workers, the business offers secure overnight car storage, ensuring convenience and fexibility for all customers. Franchisee Andrew Coppens emphasizes the importance of short lead times for bookings.

"We aim to keep our lead times between 3-4 business days because we understand that customers need their vehicles serviced or repaired promptly—not in 2 to 4 weeks."

“The workshop has cutting-edge diagnostic equipment, capable of handling all makes and models, including specialized vehicles like the Dodge Ram and Chevrolet”.

“Our team is highly trained, and we operate with an open-door policy for all your vehicle needs. We’ve brought back that ‘old-school’ customer service that has become rare in today's fast-paced world.”

Andrews commitment to personal attention and high standards has helped to cement Ultra Tune Hervey Bay’s reputation as a trusted service provider in the community.

As an approved feet agent for major feet companies such as QFleet, Smartlease, LeasePlan, RemServ, and more than 75 others, Ultra Tune Hervey Bay provides reliable feet servicing for businesses both large and small, as well as personal vehicles. The workshop also offers fexible payment options, including the "buy now, pay later" service through Afterpay, to help keep your car safely on the road without straining your budget.

For more information or to make a booking, you can contact Service Advisor Mat Harvey or Franchisee Andrew Coppens at 07 4124 5922.

Glendyne has received a grant of more than $2.5 million to renew the school’s sporting facilities.

The grant was secured under the Go for Gold Fund scheme, which is proudly funded and supported by the Queensland Government.

Funding of $2.575 million will deliver a much-needed gymnasium and sports education facility for the school in Hervey Bay.

“The grant will fund the replacement of the current gym which was damaged by a severe storm in December 2022 and is no longer able to be used,” Carinity Education

“The new building will provide students access to a range of sports and activities which can be done in all weather conditions, as well as a sports storage area, a classroom for the sport and recreation program, a weights and gymnastics area, and toilets and laundry for students to access.”

The Go for Gold Fund aims to support Queensland schools to encourage and enhance physical activity opportunities for students in the lead up to the Brisbane 2032 Olympic and Paralympic Games.

years to provide sports equipment, and build and upgrade school sports infrastructure.

“The funding received by Glendyne to provide the school with a new gym and sport and recreation classroom will be a welcome addition after the old facilities were damaged,” he said.

The building project at Carinity Education Glendyne is set for completion by December 2025.

Photo by Aqua Dan Creations
CARINITY Education
Glendyne Principal, Dale Hansen said.
State Member for Maryborough, Bruce Saunders, said the Queensland Government has committed $100 million over four

BUNDABERG born, Natasha Schofield, moved to Maryborough with her parents when she was only eighteen months old.

She grew up in a fairly typical household in the 1980s with her older sister Rebecca.

Their parents owned a squash centre, and while Natasha wasn’t naturally inclined to the sport, squash became a significant part of her childhood.

She even reached representative level, though she attributes that to her height and strength rather than skill. By age 21, she gave up the sport, finding it too tough on her body.

After high school, Natasha wasn’t sure about her career path and delayed attending university.

Eventually, at 32, she earned a teaching degree but found

challenging. By the time her son Fraser was born, she knew she couldn’t do both well, so she prioritised parenting.

Today, she has two children—Fraser, 11, and Alice, 9.

Natasha’s first job was in admin at Foley Truscott, a local financial firm.

At 21, she embarked on a European working holiday with her nowhusband, Steve.

The pair spent five months in London, where Steve worked as a nurse, and Natasha took on temporary office jobs.

After their travels, they settled in Hervey Bay, where Steve continued his nursing career. The couple have been together since high school.

Natasha did pursue teaching but found the reality very different.

“You have to multitask, handle

special ed expert, which I couldn’t do well,” she explains. Her dream job would be in learning support, working with smaller groups of children.

Currently, Natasha is enjoying her admin role at Keystone Architects.

She likes being organised and having systems in place. The job also fits well with her family life and allows her to help others without the added stress of taking work home.

Coincidently, this is the same place where Architect Amy Snyders works, who was featured in the September 19 edition of the newspaper.

Natasha has been part of the Hervey Bay Triathlon Club for twenty-five years. and says, “I had watched my husband do a couple of triathlons with the club and thought that it might be something I could do too.”

“I also knew some of the people

have now done countless triathlons and have ticked a lot of races off my bucket list”.

Among her accomplishments is finishing an Ironman Triathlon and a marathon.

For Natasha, triathlon training is more than physical exercise; it’s also a mental break.

She describes it as “forced meditation,” where she can focus on her body and disconnect from distractions, which helps boost her self-esteem.

The worst experience of Natasha’s life happened around March 2012.

After months of intense training for the Ironman Melbourne Triathlon, she and her husband, Steve, were ready for the race. They had travelled to Melbourne, set up their bikes, and prepared for the big day. But

irregular heart rhythm, and they spent the night in the hospital. Natasha missed the race.

Over time, she gained perspective, realising that compared to the tragedies some face in endurance sports, their experience was a minor setback. Thankfully, Steve recovered.

One of her happiest moments was when Steve qualified for the World Championships in Hawaii in 2010.

Although it wasn’t her achievement, Natasha was proud to support her husband and went along for the ride. It took a few years, but he finally reached his goal.

At the time of writing, Natasha was preparing for the Melbourne Marathon in October and was excited to tackle another race and enjoy the journey with friends. Despite the physical demands, she knows it will be

Australian Girls Choir
Maria Farrell & Freya Di Santo Searle with Tour Leader Alysandra Baird
Naima Flavell, has been with the choir since 2016, and is pictured with chorister Elizabeth Babatunde
Belinda Grey-Matthews, Director of the Australian Girls Choir, with chorister Izzy Romanes
Willy Paes performs with one of the two dementia-friendly singing groups that opened the show Izzy Romanes with fellow choristers Eilidh Blakemore & Maliah Murphy
Aurora Pincombe, Jessica Martin, and Niamh Duffy loved meeting Alfie
Musical Director Caz Sendall leads the pre-show entertainment groups in song

KERRY CAMPBELL HOMES

Kerry Campbell Homes are Hervey Bay’s house & land specialists. Servicing the region for more than 25 years. Building quality, a ordable homes to suit any budget.

floor slab

Bradnams aluminium windows and glass sliding door

Safety screens to all windows and doors

Plasterboard internal wall lining, coved cornice, skirting boards and architraves

• Entrance door (builder’s range)

• Floor coverings, carpet to all

Laundry

• Kitchen - Laminated kitchen cupboards and bench top

• Bathroom & Ensuite Builder’s range vanity to bathroom and Ensuite with flick mixer tapware and mirror over vanities. (Builder’s Range) Ceramic hot plates with fan forced oven and rangehood (Builder’s Range) 1510 Acyrlic bath with bath mixer tapware. Showers to bathroom / Ensuite as per plan hand held shower kit and shower mixer tapware. Double Chrome towel rail to bathroom and ensuite and toilet roll holders to wc and ensuite.

1 NBN data point.

• Toilet suite (builder’s range)

Smoke detectors where indicated TV antenna, 1 TV point

All double power points Energy e cient light fittings

Built in wardrobes to bedrooms with top shelf, side bank of shelves and stainless steel hanging rails & sliding doors (vinyl).

Double lock up garage with panel li door and remotes Driveway

Fold out clothes line supplied and fitted with concrete pad outside laundry Full turf

Fully fenced to house alignment w gates & returns

Verticals to all living areas

Ceiling fans (builders range) Patio as per plan

• Letterbox

• Electric hot water system

All plans subject to Fraser Coast regional council approval

• Full termite treatment (introduced 01/01/01)

- note - annual inspection recommended by suppliers

• Quality paint

View Saturday 19th October 2024 - 10.30-11.00 am & 12.45-1.15 pm Saturday 26th October 2024 - 9.45-10.15 am & 12.45-1.15 pm

Price $940,000 Web rh.com.au/herveybay/L1070558

35 Endeavour Way, Eli Waters

Waterfront Property

This delightfully charming and expansive 4-bedroom, 2-bathroom home is perfectly situated on a generous 969 sqm block that meets the picturesque canals of Eli Waters. Enjoy swimming, fishing or kayaking directly in the canals right from your backyard.

Perfect for those seeking a comfortable and harmonious living space, this property boasts modern construction and design elements to cater a relaxed yet sophisticated lifestyle. Thoughtfully arranged throughout, the design maximises breathtaking views and offers direct sightlines to the water from nearly every major room.

A large undercover outdoor entertainment area is ideal for hosting gatherings or enjoying spectacular sunset views over the canals, while a spacious media room offers a dedicated space for entertainment and relaxation.

The property is conveniently located in a highly sought-after area with close proximity to key amenities like schools, hospitals, shops and major roads, providing excellent connectivity. Oriented for sunset viewing and complete with a double garage for vehicles or storage, this home on the canals of Eli Waters offers a rare opportunity - with its blend of modern comforts, prime location, easy water access and spectacular views, this property truly represents a unique and desirable living experience that money cannot buy.

Hervey Bay 4128 2188

357 Esplanade, Scarness rh.com.au/herveybay

View Saturday 19th October 2024 - 9.45-10.15 am Saturday 26th October 2024 - 9.45-10.15 am Price On Application Web rh.com.au/herveybay/L28320646

15 Shell Street, Urangan – Fauna Lakes Stage 2

In A League of Its Own

Looking for a place to call home that no one else has, that your friends and family will envy, 15 Shell Street, Stage 2 Fauna Lakes is the place to be! These high quality, executive designed lake side villas are something to boast about, with a mixture of dry block or lake aspect living.

A total of 11 villas makes this gated complex an exclusive place to live, there are 5 villas overlooking the lake and 6 villas constructed with their own private court yards.

The villas are finished to the highest standards constructed by one of Hervey Bay’s most renowned builders, Ron Brown Homes. Some of their trademark touches are evident such as higher than standard ceilings, the large floor tiles and the seamless flooring in the garage.

Consisting of 3 bedrooms, the main bedroom boasting an ensuite and double vanity, perfect for couples that like their individual space. A designer kitchen awaits perfect for entertaining, and if you are looking for something more, 3 of the villa’s include a media room ideal for kicking back and relaxing.

One the benefits of Fauna Lakes, that I’m sure you can see, is the location. Positioned in a central area of Urangan it is a short walk to the iconic Urangan Pier, cafes, local markets, Hervey Bay Botanical Gardens and restaurants such as the Kondari Hotel and the Bayswater Bar and Grill.

The construction has just been completed, if you are looking for a lifestyle change, these villas are a must inspect.

Hervey Bay 4128 2188 357 Esplanade, Scarness rh.com.au/herveybay

1 2

View Saturday 19th October 2024 - 10.30-11.00 am

Saturday 26th October 2024 - 10.30-11.00 am

Price $698,000

Web rh.com.au/hervey bay/L1070303

155 Cypress Street, Urangan

Be Quick Will Not Last!!

This charming 2 bedroom, 1 bathroom house is the perfect opportunity for first home buyers or investors. Situated on a spacious 994 sqm block, this property offers plenty of room for outdoor activities and potential future development. The open parking space allows for convenient off-street parking, while the high set provides a comfortable living space. This property boasts a beautiful backyard, cozy living spaces, and a wellmaintained kitchen. The lush lawn and surrounding nature create a peaceful and serene atmosphere, perfect for relaxing or entertaining guests. Don’t wait, come see this lovely property for yourself and envision the potential it holds. Contact us today to schedule a viewing or for more information.

110 Barranjoey Drive, Sunshine Acres

View Saturday 19th October 2024 - 9.00-9.30 am

Price Contact Agent

Web rh.com.au/hervey bay/L1070957 3 16 5

Saturday 26th October 2024 - 11.15-11.45 am

Hervey Bay 4128 2188

357 Esplanade, Scarness rh.com.au/herveybay

The Ultimate Acreage Lifestyle

This 5-acre property offers the ultimate in secluded luxury featuring a grand residence along with a large threebay shed for all your toys and tools, and a self-contained office/studio, complete with a kitchen, bathroom, and additional three rooms. Inside the main residence, you’ll find multiple living zones, including a lounge, si ing room, dining room, parents’ retreat and a versatile family/media/ games room. The light and airy kitchen, equipped with stone benchtops, modern appliances, ample storage and a butler’s pantry, this is a chef’s dream. The luxurious parents’ retreat features a relaxing lounge, a huge air-conditioned master suite and an ensuite with a deep bath and double vanities. The insulated 7x6m alfresco dining and BBQ area is perfect for outdoor entertaining, offering expansive views of the property and the 10x4m in-ground saltwater swimming pool.

4/15 Shell St, Urangan – Stage 2 Fauna Lakes Lakeside Luxury

This luxurious 3-bedroom, 2-bathroom villa in the “Fauna Lakes, Stage 2 Complex” offers tranquil lakeside living in a secure gated community. Built by Ron Brown Homes, the villa features a spacious media room, designer kitchen with stone benchtops, and an open dining/entertainment area. The main bedroom boasts lake views, an ensuite, and plantation shu ers. Located in Urangan, it’s within walking distance of restaurants, cafes, the Esplanade, local markets, and Urangan Pier. Ready to move in!

View Saturday 19th October 2024 - 9.45-10.15 am Saturday 26th October 2024 - 9.45-10.15 am

Price On Application Web rh.com.au/hervey bay/L31178042

19

A Smart Move

If you’re searching for a well-built home to make your own or a smart don’t delay-this opportunity will not last long. With close proximity to Hervey Bay’s hospitals, this property is ideal for healthcare professionals or anyone looking to live near vital services. Young families will benefit from nearby private schools, the convenience of nearby shopping centres, and easy access to daily necessities. Whether you’re planning to live in it or rent it out, the potential for future value appreciation in this growing township is undeniable.

View Saturday 19th October 2024 - 9.45-10.15 am & 12.45-1.15 pm Saturday 26th October 2024 - 9.45-10.15 am & 12.45-1.15 pm

Price $670,000 Web rh.com.au/hervey bay/L15044359

Hervey Bay 4128 2188

357 Esplanade, Scarness rh.com.au/herveybay

63 Gundesen Drive, Urraween Top Shelf Home

Located in a highly desirable neighbourhood, this family home offers privacy and convenience, being just a short distance from all essential amenities. The custom-designed kitchen serves as the focal point of the home, overlooking the open-concept living area. The master bedroom, offers a walk-in wardrobe and a stylish ensuite lined with designer tiling. A second living area ensures plenty of room for everyone. The private, covered deck with plantation shu ers is an excellent space for entertaining family and friends.

View By Appointment

Price $1,250,000

Web rh.com.au/hervey bay/L29268483

Dual Living Airbnb – Investment Opportunity of a Lifetime

This picturesque acreage boasts breathtaking vistas. From the moment you arrive you’ll be captivated by the meticulously landscaped surroundings providing a sense of seclusion and privacy. Adding to the allure are the 2 beautiful homes featuring a pool, plus 3 bay garage with wall to wall storage. The 2 homes need no work, ready to move in and enjoy, whether envisioning your forever homes with extended family, or the burgeoning Airbnb market this property offers limitless possibilities.

View By Appointment

Price $1,999,000

Web rh.com.au/hervey bay/L1074671

Picadilly Circuit, Urraween
15 Mitchell Avenue, Craignish

12 Walter Street, Tiaro

Country Charm Modern Amenities

This newly renovated home features solar panels, tall ceilings, 3 spacious bedrooms, a versatile front room, and a master suite with extensive wardrobe space. The kitchen is a chef’s dream boasting modern appliances, ample prep area, abundant storage and a butler’s sink with filtration. Enjoy dining with a view on the covered veranda complete with ceiling fans for those warm sunny evenings. There is a secure understory complete with laundry, an extensive workspace and under cover parking with remote gate access.

View By Appointment

Price $550,000

Web rh.com.au/hervey bay/L28482485

12/2 Barnstaple Street, Torquay

Spacious 2-Storey Coastal Retreat in Gated Complex with Modern Comforts and Prime Location

This 2-storey home offers three bedrooms, including a ground-floor main with ensuite, and two with walk-in robes. A separate lounge, dining room, and well-equipped kitchen provide ample living space, while the private courtyard is perfect for outdoor relaxation. Additional features include a study, two-way bathroom, and a two-car remote garage. Situated opposite the complex’s pool and just a short walk from Torquay foreshore, shops, and restaurants, it’s ideal for coastal living.

View By Appointment

Price $685,000

Web rh.com.au/hervey bay/L30291801

Hervey Bay 4128 2188

357 Esplanade, Scarness rh.com.au/herveybay

112/396 Esplanade, Torquay Fantastic Esplanade Location

Experience the ultimate beachside lifestyle in this 2-bedroom apartment, ideally located opposite the beach. Designed with comfort and convenience in mind, it features spacious bedrooms, an ensuite in the main, and a well-planned layout that promotes relaxation. Enjoy resortstyle living with easy access to all floors via a lift and an on-site pool perfect for leisure. Whether you’re looking for a serene retreat or a smart investment, this prime location has it all.

View Saturday 19th October 2024 - 9.00-9.30 am Saturday 26th October 2024 - 9.00-9.30 am

Price $478,000

Web rh.com.au/hervey bay/L29099872

1/14 Bentley Way, Urraween

Stunning Value - Premium Build

Pristine 3-bedroom, 2-bathroom house located in the sought-after Highview Estate. This property boasts a modern open plan living area and additional outdoor leisure space, perfect for entertaining guests or relaxing with family. The modern kitchen features highquality appliances, premium fi ings, and ample storage. The property also includes an epoxy floor double garage, providing secure parking for two vehicles.

View Saturday 19th October 2024 - 11.15-11.45 am & 1.30-2.00 pm Saturday 26th October 2024 - 10.30-11.00 am & 12.45-1.15 pm

Price $680,000 Web rh.com.au/hervey bay/L28285641

4/3 Totness Street, Scarness

In the Heart of Scarness

This modern single-story unit offers a central and convenient lifestyle in Hervey Bay, step inside, and you’ll be greeted by a unit that appears as though it was just built yesterday. This home boasts two generously sized bedrooms, the primary bedroom featuring its own private ensuite, while the second bedroom comes complete with built-in robes and a ceiling fan. The kitchen is a highlight, adorned with a sleek stone benchtop that doubles as a breakfast bar, overlooking the spacious living area and an extended dining room.

View By Appointment

Price $590,000 Web rh.com.au/hervey bay/L25325622

90

Coastal Elegance

This stunning waterfront property offers the perfect blend of luxury and coastal living. This spacious house features 3 bedrooms, 4 bathrooms and a 2 car garage, all situated on a generous 635 sqm land area. The property boasts a modern design with high-end appliances, beautiful architecture, and a balcony overlooking the breathtaking sea views. The interiors are thoughtfully designed with a focus on natural light and open spaces, creating a serene and inviting atmosphere.

View By Appointment

Price $1,990,000

Web rh.com.au/hervey bay/L22119412

Hervey Bay 4128 2188

357 Esplanade, Scarness rh.com.au/herveybay

141 Moorabinda Drive, Sunshine Acres

10 Acres with Surveyor Draft for Subdivision

Presenting an exceptional opportunity to own a charming 3 bedroom, 1 bathroom lowset brick home set on the front side of a sprawling 10-acre property. An enticing aspect of this property is the potential for future development and subdivision. With current surveyor’s plans in place to divide the property into two 5-acre blocks, there is the opportunity for dual occupancy or the option to create a separate dwelling on the subdivided portion.

View By Appointment

Price $1,222,000

Web rh.com.au/hervey bay/L23238949

102 Honiton Street, Torquay

Charming 4-Bedroom Home in a Central, Quiet Neighbourhood

This 4-bedroom home offers comfort, convenience and space in a peaceful, central location. The generous 672m² block includes a spacious yard and side access to a double shed for extra storage or parking. The open plan living area seamlessly connects the kitchen, dining and living spaces, ideal for family gatherings. The main bedroom features an ensuite, providing added privacy. Located in a quiet neighbourhood yet close to schools, parks, and shops, it’s perfect for families or investors.

View By Appointment

Price $668,000

Web rh.com.au/hervey bay/L28940053

Esplanade, Point Vernon

3 Bay Park Road, Wondunna

Family Home in a Quiet Neighbourhood

587-588 Esplanade, Urangan

Escape to the tranquil waters of Hervey Bay with this unique opportunity at 587588 Esplanade Urangan. Total block size is 1843sqm approx and the lots have been consolidated for rates purposes. This is the quieter section of the Esplanade, surrounded by tastefully renovated or newly built homes, a stone’s throw to the iconic Urangan Pier, the bi-weekly Pier Park Markets and a wide array of dining & shopping choices.

View By Appointment

Price $2,600,000

Web rh.com.au/hervey bay/L28479717

132 Moorabinda Drive, Sunshine Acres

This home is ideal for a growing family or those in need of extra space. The airy master bedroom, featuring a walk-in robe and ensuite, offers a private retreat. The functional kitchen flows into a versatile living and dining area, perfect for entertaining or family gatherings, with easy access to the undercover patio. Situated on a 650m² block, the backyard provides ample space for outdoor activities. Located near reputable schools and a nearby park with BBQ facilities, this home offers convenience and a serene lifestyle in a peaceful neighbourhood.

View Saturday 19th October 2024 - 11.15-11.45 am Saturday 26th October 2024 - 10.30-11.00 am

Price $665,000 Web rh.com.au/hervey bay/L29106384

Auction Thursday 31/10

Hervey Bay 4128 2188 357 Esplanade, Scarness rh.com.au/herveybay

90 Urangan Street, Torquay

This is a rare opportunity to secure a generous 4637 sqm parcel of land in a prime location, offering endless potential for the astute buyer. Whether you’re looking to build your dream home or invest in future development, this expansive block provides the perfect canvas. With plenty of space and privacy, it’s ideal for creating your own personal retreat while still enjoying the convenience of nearby amenities. Don’t miss this chance to own a substantial piece of prime real estate.

View By Appointment

Price Submit Offer Web rh.com.au/hervey bay/L30439127 2 2 4

Auction Thursday 31/10

We present to you a 5 acre allotment that provides a great balance of space and convenience! Surrounded by the beauty of nature, it’s hard not to embrace the tranquility and privacy of your very own tropical oasis featuring 2 dams. Located in Sunshine Acres, you’ll find yourself approximately 10-15 minutes from town which provides the best of both worlds between enjoying the peacefulness of a rural se ing and having easy access to great shopping centres, medical and all that Hervey Bay has to offer.

View By Appointment

Price $550,000

Web rh.com.au/hervey bay/L23984557

8-12 Burrum Street, Urangan

1 2 3

Welcome to a prime development opportunity located in Urangan. This expansive 1942m² block is perfect for developers, investors or those looking to build their dream property. This property offers ample space for a variety of development projects (subject to council approvals) including subdivision potential, multi-unit development, or a luxurious single-family home. Currently, the property hosts a home featuring three large bedrooms. This structure could be renovated, expanded, or utilized as a temporary residence during development. A standout feature of this property is the massive garage with internal access.

View By Appointment

Price $1,125,000

Web rh.com.au/hervey bay/L27882061

71 Mathiesen Road, Booral

This is a delightful 3-bedroom, 2-bathroom house nestled is on a generous 2811 sqm block. As you step inside, you’ll be greeted by a warm and welcoming atmosphere, featuring an expansive living area that is perfect for both relaxation and entertaining. The wellappointed kitchen boasts modern appliances and ample storage, ensuring that meal preparation is a breeze. The three generously sized bedrooms provide plenty of space for family and guests, while the two bathrooms offer convenience and privacy.

View Saturday 19th October - 11.15-11.45 am Saturday 26th October - 9.00-9.30 am

Auction 31st October - at 7.00 pm - In Rooms Web rh.com.au/hervey bay/L30988357 2 5 3

2 3 3

This inviting home features a seamless flow between the living room, dining area and modern kitchen, perfect for both relaxation and entertaining. The spacious living room offers a cozy gathering space, while the backyard provides a sprawling green area ideal for children, pets, or summer barbecues. Nestled in the tranquil suburb of Booral, this property combines the peace of nature with the convenience of being a short drive from parks, schools, and shopping centres.

View Saturday 19th October - 9.45-10.15 am Saturday 26th October - 11.15-11.45 am

Auction 31st October - at 7.00 pm - In Rooms Web rh.com.au/hervey bay/L30816914

1 Bonnie Place, Craignish

Commercial Division Raine Horne Hervey Bay T: 07 4128 2188

E: sales.admin@herveybay.rh.com.au

Hervey Bay 4128 2188

357 Esplanade, Scarness rh.com.au/herveybay

17 Honeyeater Drive, Walligan

2ha For Sale

This expansive lifestyle garden centre boasts a diverse range of products, from imported pots and statues to plants, fruit trees, and landscaping supplies. Spanning 2 hectares with prominent road frontage, it offers ample retail parking for 16 cars, bulk storage area for container unloads, and purpose-built display areas. The property includes a three-bedroom brick veneer home with an office and its own separate entrance, owner parking including a double garage, with additional space for trucks and staff

View By Appointment

Price Contact Office

Web rh.com.au/hervey bay/L1272958

1/36 Torquay Road, Pialba

132m2 For Sale

Shop 1/36 Torquay Road presents an enticing opportunity for investors with a long-standing tenant of over 37 years. Situated in Pialba’s heart, it benefits from substantial foot and car traffic, opposite Bay Plaza Shopping Centre housing Woolworths and other renowned stores. Property highlights include locked side gate access, full air conditioning, unisex accessible amenities, a kitchene e, storage room, front and rear parking, and security cameras covering all aspects of the premises. This 132m2 space offers stability with its established tenant.

View By Appointment

Price Contact Office Web rh.com.au/hervey bay/L26177741

200 Boat Harbour Drive, Pialba

345m2 For Lease

This newly built 345m² commercial space is available for lease in a prime location, ideally positioned between a pharmacy and a medical center. Situated opposite The Good Guys in the Spotlight complex, it offers an a ractive shop frontage with an open floor plan. High visibility and signage opportunities make this property stand out, with exposure to over 19,000 passing vehicles daily. A strategic choice for your business.

View By Appointment

Price Contact Office Web rh.com.au/hervey bay/L30150673

200 Boat Harbour Drive, Pialba

840m2 For Lease

Are you seeking the perfect location for your business? Look no further. This recently built 840m² open floor plan office space, ideally positioned within the new Spotlight shopping complex, is now available for lease. This commercial property offers exceptional visibility and signage opportunities, a racting over 19,000 vehicles passing daily. Don’t miss this opportunity to establish your business in a high-traffic area with outstanding exposure.

View By Appointment

Price Contact Office Web rh.com.au/hervey bay/L30214026

2/402 Esplanade, Torquay

228m2 For Lease

Prime retail site on the Esplanade at Torquay on a busy corner location surrounded holiday apartments, shops and across from the beach. 228m2 of space including a fully equipped commercial kitchen with good street appeal and accessible car parking. Ideal location for a restaurant or take away business. Contact us now for further information or to arrange an inspection.

View By Appointment

Price Contact Office Web rh.com.au/hervey bay/L19344791

1/383 Esplanade, Torquay

300m2 For Sale

Imagine the possibilities of owning an elegant wine bar in such a desirable location. With the business and freehold premises on offer, this property ticks all the boxes. The Esplanade in Torquay is known for its vibrant atmosphere, a racting locals and tourists alike. With its proximity to the beach, shops, and other amenities, this property ensures a steady flow of traffic. Don’t miss out on this incredible opportunity to own your dream lifestyle in the bustling area of Torquay Hervey Bay.

View By Appointment

Price Contact Office Web rh.com.au/hervey bay/L12986683

3/65 Torquay Road, Pialba

161m2 For Lease

This modern property boasts a generous kitchen with a building area of 161sqm, perfect for a variety of office uses. This property presents a fantastic opportunity for businesses looking for a professional and stylish office space. Don’t miss out on this rare find in the heart of Pialba - contact us today to arrange a viewing!

View By Appointment

Price Contact Office Web rh.com.au/hervey bay/L28068525

TRANQUIL SETTING

• Contemporary design with modern black louvres

• Ducted air conditioning and remote-controlled ceiling fans throughout

• Chef’s kitchen featuring high-end appliances

• Master suite with walk-in robe and luxurious ensuite

• Second bedroom with walk-in robe

• Main bathroom with free-standing bath

• 12m x 4m drive-through garage plus 9m x 9m garage with

• 7 x rainwater tanks (135,000L total capacity)

MAGNIFICENT

• Sunroom with expansive windows to take in the gorgeous views

• Living/dining areas with high ceilings and timber floors

• Timber kitchen with dishwasher- washing up is even enjoyable with views

• Main bedroom with ensuite, air-con, beautiful high ceilings, timber floors

• Two large multi-purpose rooms (1 used as a bedroom)

• Covered alfresco area at rear

• Solar panels and solar hot water

• Single garage with remote door

• 706m2 block

• Timber floors, high ceilings

• Arguably one of the Esplanades most desirable positions

A PLACE TO CALL HOME FOR NATURE LOVERS

A hidden gem nestled in nature, this charming abode is perfectly positioned on a picturesque 4,828 sqm leafy parcel, just a short distance from town.

The cosy, steel-framed home is impeccably maintained and features three bedrooms, a bathroom, and an open-plan living/dining area. Enjoy the warmth of the fireplace on cool winter nights or the refreshing air conditioning during summer, with the comfort extending into a functional kitchen equipped with a large pantry and gas cooktop/oven. There is ample garaging and storage, including a three-bay carport, a double Colorbond shed with power, and a garden shed with power, providing abundant space for all your vehicles, vans, boats, and storage needs. With additional features like water tanks, a bore, solar panels, and a dam, this property is designed to keep costs down and efficiency high You can soak in the serenity from the covered rear patio, which opens out to the beautiful grounds filled with an abundance of fruit trees, a veggie patch, a chook pen, and well-established native trees and gardens.

• Three bedrooms all with built in robes and fans

• Open plan living/dining room with air con and wood heater

• Functional kitchen with gas cooktop and oven

• Covered outdoor entertainment area with insulated roof

• Colourbond shed 6 x 7.5m with power, with laundry space

• Two carports (three car spaces undercover).

• Insulated roof, Solar panels (1.5kw)

• 2 x Water tanks (50,000 Ltr), bore water.

• 6 x 3m garden shed with power.

• Chook pen, Vegetable Garden Enclosure

• Seasonal dam with wetland

• Extensive, well maintained, park-like grounds

PYNE 0438 694 307

• Master with ensuite, walk-in robes, and built-ins

• Two additional bedrooms with built-ins, two-way bathroom

• Private north-facing sunroom

• Separate lounge and dining rooms, study nook

• Air-conditioned kitchen, living and dining

• Fully screened and insulated patio

MARINA LIFESTYLE LIVING

This fully renovated three-bedroom second-floor apartment offers an exceptional location with breathtaking views of the Urangan Marina within the Breakfree Resort complex. The apartment is fully furnished, making it an ideal candidate for an AirBnB, with substantial returns likely due to its prime location and peaceful surroundings. It’s perfect for savvy investors as well as those seeking a serene residence or retirement unit.

• Fully renovated three-bedroom apartment with ensuite

• Second oor unit capturing views and sea breezes

• Air conditioned and open plan kitchen, living and dining with great views

• Three good size bedrooms with fans

• Under cover balcony overlooking the marina

• Single remote-controlled garage

The apartment features three spacious bedrooms, including an ensuite in the master bedroom. The fully renovated kitchen is perfect for cooking enthusiasts, offering ample bench space and plenty of cupboards. The large open-plan living and dining area provides stunning views of the Urangan Marina and Fraser Island For additional convenience, the property includes a single remote-controlled garage and ample visitor parking. Whether you're in search of a profitable investment or a tranquil lifestyle with marina views, this property is definitely worth a closer look. 2 2 1 22/17 BUCCANEER DRIVE, URANGAN OFFERS OVER $550,000 Inspect By Appointment

• Plenty to keep you entertained with access to the resort facilities

• Two swimming pools, tennis court, games room, playground and BBQ

• Located right next to the Marina and the beach

• Walking distance to the Boat Club, restaurants, cafes and cinemas

• Security gated complex with plenty of visitor parking

60 ROYAL DRIVE, KAWUNGAN

CENTRAL KAWUNGAN LIVING AT ITS FINEST

Welcome home to 60 Royal Drive, Kawungan. Situated in the heart of Kawungan, with an ideal location close to all amenities, plus a stylish and modern build, this home has so much to offer. With four bedrooms, two living spaces, a study nook and a great outdoor living space, this home captures family living at its finest. The great sized kitchen, complete with butler’s pantry is in the centre of the home, and has a large gas oven, dishwasher and plenty of storage.

Complete with solar, high ceilings, air conditioning, service window from the butlers pantry and many more features, this should definitely be on your list to inspect.

Situated in the heart of Kawungan, close to all amenities, and the centre of Hervey Bay it offers the best of both worlds – the tranquillity of a suburban lifestyle with easy access to urban conveniences. Don’t delay contact Ash today to arrange a private inspection – 0418 986 867

• Four great sized bedrooms with built-ins and fans

• Ensuite and walk-in wardrobe to main

• Two large separate living spaces

• Kitchen with butler’s pantry and service window

• Covered outdoor living space

Inspect By Appointment

• Air-conditioning - split systems through

• Double lock up garage

• Solar panels

• Stylish and modern build

• Fantastic, central Kawungan location

609m2 OFFERS OVER $899,000 CONSIDERED

ONLY THROUGH EXPERIENCE CAN YOU SEE EVERY POSSIBLE SALES OPPORTUNITY…

With 15 years of amazing sales success, Don is recognised for his passion, perseverance and positivity.

His accurate analysis, marketing savvy and customised selling plans, ensure the maximum exposure and price for his client’s properties.

Don’s sellers find his patience and calm nature relaxing, and his reputation for honesty, work ethic and negotiation prowess are second to none.

Renowned for his integrity and unwavering determination, Don’s genuine passion for both people and property see him continue to raise the benchmark.

He is committed to providing a comprehensive customer service to ensure each vendor’s needs are met over the course of a sale. With a ‘never give up’ attitude, Don Bryant offers a refreshingly positive real estate experience with honest, straight forward advice.

If you would like to experience the Prime Agents difference and want to best understand your options right now, we invite you to start a conversation with us.

Down to earth, reliable and client focused, Stacey Pyne is the ideal choice for your real estate transaction in today’s growing market. With over 10 years experience in the industry, her marketing techniques, attention to detail, communication and negotiation skills are second to none.

Stacey views the opportunity to be part of such a large decision, whether it be the sale or purchase of your biggest asset, as a privilege.

If you are thinking of selling, or just want to have a chat about today’s market, contact Stacey today.

ocean view acreage FROM $365,000

High on the hill in the charming seaside village of Craignish you will fnd the perfectly positioned Sea Breeze Estate.

Ofering breathtaking ocean views, rural outlooks and fresh sea breezes each one of these incredible half acre land parcels are enhanced by the beauty of their natural surroundings.

Located just minutes away from the Craignish Shopping Village, which features a Foodworks Supermarket, medical centre and pharmacy. Or for those who enjoy an active lifestyle, the Craignish Golf and Country Club and the stunning beachfront are just down the road.

With gently undulating natural ground, Sea Breeze Estate provides versatile building options. Whether you build upwards to maximise the spectacular ocean views or prefer a more,

secluded private residence within the serene countryside. Each lot ofers ample space to create a home that perfectly suites your lifestyle, allowing you to enjoy the best of both worlds – peaceful rural living with modern conveniences close at hand.

Acreage properties located this close to town living are a rarity, don’t miss the opportunity to become a part of this exclusive Sea Breeze Estate community.

With limited lots available, now is the time to secure your place in this highly sought-after development.

Contact Don or Michael from Prime Agents today to learn more and take the frst step toward making your dream home a reality in this stunning seaside location.

www.seabreezeherveybay.com.au

Relocation loans explained.

Why talking to an

Will you buy before you sell or sell before you buy?

Relocation or bridging loans can help ease the transition from one home to the next (including building a new home while living in your current one).

Relocation loan features:

Been told by your lender you have to sell first? I can help. I can tap into a panel of over 60 lenders to make you aware of which lenders calculate your borrowing capacity based on End debt versus Peak debt (combined debt). If you are upsizing, a lender that uses End debt borrowing capacity is often the difference in not having to sell your home first.

Make the call, let us do the legwork and save time.

Jen Campbell, Managing Director and Finance Broker

Jen Campbell, Finance Broker

M: 0402 946 222

M: 0402 946 222

info@gofurtherfinance.com.au www.gofurtherfinance.com.au

Shop 3, 6-8 Liuzzi Street, Pialba QLD

info@gofurtherfinance.com.au

info@gofurtherfinance.com.au

• 2 BATHROOMS

• DISHWASHER, ELECTRIC COOKTOP & OVEN

• KITCHEN SERVERY WINDOW

• AIR-CONDITIONING TO LIVING AREA

• CEILING FANS THROUGHOUT SOLAR PANELS

DOUBLE LOCK UP GARAGE WITH INTERNAL ACCESS & REMOTE 3M X 6M SHED

2

• LARGE ENTERTAINMENT AREA

• FULLY FENCED 710 M2 BLOCK. CARAVAN SPACE

• LOW MAINTENANCE LANDSCAPED GARDENS GAS HOT WATER SYSTEM

Amazing Home with Amazing Ocean Views

A one-of-a-kind pavilion design is a masterclass in architectural design. Crafted to encapsulate the panoramic ocean outlook and blend in with its surrounds, this four-bedroom, four-bathroom property is a serene sanctuary built with sustainability and liveability in mind. Perfectly maintained, the home has been designed as one level of living with an enormous amount of under house storage including lock up garage, workshop and bathroom. A side driveway gives you easy access for the van or boat to be stored under the high port. Be entranced by the panoramic ocean views through the floor to ceiling windows – ideal for entertaining or unwinding watching the sunset.

An expansive open-plan living and dining room showcases a spacious kitchen superbly designed with an enormous amount of storage. The 40mm stone bench tops with high servery ensures in keeping all your clutter out of sight.

In the sleeping pavilion you’ll find four double bedrooms, each with large built-in robes and every room having a view to the ocean or pool. Two artfully tiled stylish bathrooms serve the sleeping quarters.

Designed to blend seamlessly with the setting and create minimal environmental impact, this property has large rainwater tanks, solar and designed for the Queensland lifestyle. The lush landscape provides privacy and shade. To the rear of the property you’ll find the orchard with an array of mature fruit trees

Situated in one of the area’s most coveted streets this remarkable home promises both a treechange and a sea change. Whether you make this your weekend getaway where you come to relax and recharge, a unique, upscale holiday rental or wish to wake up looking out to the ocean every day, this is a rare opportunity to own a true masterpiece of a home.

Contact the Ray Edward Team to book a personal inspection.

4128 6600

2 Ansons Road, Dundowran Beach www.rayedward.com.au

8-10 Melia Court, DUNDOWRAN BEACH

Located on 45 hectares of gently undulating land complete with sweeping vistas of the Great Sandy Strait and Fraser Island, Fraser Vista is arguably the best new water and island view address on the Fraser Coast..

Situated within close proximity to village shops, local schools and Hervey Bay town centre, this is the

• Blocks from 2,000m2 to 2,223m2

View the site at 62 Mahalo Road Booral (eastern end of Mahalo Road)

For more details or to arrange an inspection contact Rod Marks rod@markspartners.com.au 0408 619 491

Tayla King Senior Property Manager
Brodie Thornton Senior Property Manager
Kayla Neilsen- Behrens Business Development Manager
Sheridan Long Property Manager Assistant
David Cockburn Property Manager
Nikki Thisleton Property Manager Assistant
Kelsy Howarth Property Manager Assistant
Katrina Curry Property Manager Assistant
Liana Vermast Accounts Team
Karlie Faunt Co Owner
Trent Faunt Principal / Co Owner

Turn static files into dynamic content formats.

Create a flipbook
Issuu converts static files into: digital portfolios, online yearbooks, online catalogs, digital photo albums and more. Sign up and create your flipbook.