Hervey Bay Advertiser and Hervey Bay Property Guide

Page 1


by the Queensland Government, William Street, Brisbane.

3D imaging your gums for the

COPY DENTURES

If you’re happy with your current FULL dentures, we can copy them for youno impressions required.

DESIGNED DIGITAL DENTURES AVAILABLE NOW IN

Precise CAD designed & manufactured Durable Milled from high impact premanufactured discs

Consistency Same set of dentures can be reproduced many times

Digital backup Can be remade at any point

Customisable Many shades and teeth shapes available

Convenient Faster to make, less appointments

As we step into a brand new financial year, let’s harness this energy to embark on a journey towards financial freedom!

From the first day to the last, let’s make every moment count. Set yourself on the pathway to financial independence by taking that courageous first step today. Our friendly team are here to support and guide you every step of the way.

It’s time to rewrite your financial story and pave the way for a brighter future!

for

It was a short trip from my house to this other world, when I was feeling very unwell and getting worse after a couple of hours.

This new world was through Accident and Emergency in Hervey Bay Hospital.

Whilst in the waiting area I saw more patients and relatives coming in every five minutes, and that equates to over 100 per day because this place is open 24/7.

All have to be thoroughly interrogated by the Triage nurse because the staff have

THE 21-STOREY development proposal in Torquay has sparked unprecedented division within the community. This issue represents a watershed moment for Hervey Bay, regardless of the outcome.

The community eagerly anticipates a decision from the councillors in their July meeting, although such assurances have been made before. The prolonged debate surrounding this proposal is like a boil, desperately waiting to burst.

Thankfully it will be over soon.

Despite extensive social media commentary, public submissions, and rallies, this impactassessable development application largely hinges on the detailed report and recommendations from Council officers.

However, councillors possess the discretion to approve it regardless of that report, if they believe

no prior knowledge of them when, like me, they come through the door.

That’s getting on for 1000 per week 52 weeks per year. And there are tens of thousands of ailments and illnesses that may have to be attended to.

My next stage was via a wheelchair into the ward area where further questions, temperature and blood pressure were taken so that the doctor/nurse could take me to an appropriate ward which turned out to be the trauma suite.

Turning up in my PJ’s helped get me into a bed quicker with

doctors and nurses giving me reassurance that they were on to it and knew what to do next.

Cannula lines were inserted into each arm with drips feeding into my system plus an overhead monitor keeping an eye on my vital signs.

By this time, I had stopped coughing up blood which I came in with and began to relax.

Then I was asked about what drugs and medical history I had but due to my age (81) I had a big history and lots of drugs for blood pressure etc.

My dear wife promised to bring my drugs and a list of previous ailments the next

the benefits to the region outweigh the concerns.

The new councillors could take a stick to the developers over the Jamie Durie charm offensive, reject the proposal and kick the decision down the road. The old paid celebrity endorsement didn’t play well in many quarters.

Think about it. They conceivably have zero to lose by doing so, letting someone else do the heavy lifting.

The developer would undoubtably appeal to the Planning Court, and should they win, public memory of which councillor supported it and which didn’t, will have well faded in four years.

That’s possible but unlikely.

Half of the councillors are new, bringing bold and visionary thinking that contrasts with some of their predecessors. This is good for the region and the developer.

It is likely that these new councillors,

day. You don’t think about those sorts of things when you suddenly come to hospital.

The hospital must be fully operational for things like drugs, food, drink, laundry and cleaning etc. that an ordinary household has to do.

The “worker bees” (nurses) work eight hour shifts x five or six days depending on the roster, and they all know what to do and when, all through their shift.

When I was there a 4am, emergency had staff coming from everywhere to help.

These worker bees have to change nappies on very young babies and very old people

unburdened by traditional politics, want to drive a prosperous economic future for the city through innovative ideas and a fresh approach.

A ‘stamping their mark’ moment.

Could such dynamic leadership secure the project’s approval, promising growth, progress, and revitalisation for the community? I believe it will.

Mayor George, known for his political acumen, will vote against the proposal, as he typically does in similar situations. That vanilla leadership and lack of visionary foresight has a dwindling future.

My prediction – The report by Council officers will recommend councillors approve the development, and it will proceed.

Whatever the decision, it will be pivotal in shaping the future trajectory of Hervey Bay.

Tell us what you think ….

stripping beds and re-making them time and time again.

All the while checking on other patients under their control.

The food and drink that I had was very good in every way (hot or cold) which all have to be prepared and delivered several times a day. Cleaning looks almost continuous also.

I had to have a camera down my throat and a C.T. scan bringing another set of staff in surgical which had to be organized for me.

This continuing inner world is unbelievable and I thought superb in its operation that

Ultra Tune Hervey Bay

must be a nightmare to keep under control every day of the year.

Holding it all together at the ward level are what I call worker bees the nurses who are worth every penny they earn and more I believe.

A patient opposite me said we all know that there are angels in heaven, but the ones on earth are nurses.

Regards

As a former veteran one often appreciates the visible respect shown at the RSL

• Servicing over 120 feet companies

• Government and Private sectors.

• Whatever the size of your feet, Ultra Tune Hervey Bay helps to maintain and manage your feet’s Service needs and costs by tailoring a service schedule to suit.

• Ability to complete full Service to Manufacturer’s Handbook Specifcations.

• National coverage with over 200 Ultra Tune Service Centres around Australia.

• Ability to tailor service programs to meet your individual feet management needs.

• Your one stop shop – offering service and repairs for mechanical, brake, suspension and exhaust systems. Peace of mind with all work backed by a National 6 month or 10,000 kilometre warranty (whichever comes frst).

Opening Hours: Mon-Fri 8am-5pm • Saturday 8am-12pm

when the observance of the Ode is played turning towards the Eternal Flame each evening. But please, if you happen to be in the vicinity as I observed recently at a D Day ceremony, when either the Last Post or the National Anthem was played, one shouldn’t have to inform people that a certain respect should be shown.

Above all, please stand up and stand still unlike some people who demonstrated manners to the contrary.

It costs nothing to pay our respects to those whose sacrifice cost them their lives.

Lest We Forget

I refer to your article 13 June, although we must and do generally support our police it is difficult to totally agree with your point.

Residents in Pulgul Street and Boat Harbour Drive

Urangan have had to put up with hooning, loud trail bikes (unregistered, no lights at all hours of the day and night no helmets) and have for some time now provided evidence on numerous occasions both directly to the local station and to Police Link online as requested by the officers, but no action has been taken even though the police are well aware of who the culprits are.

Why do you need to ride a trail bike at 2-3am in the morning revving the crap out of the bike.

Police action needs to be taken before some innocent person is injured or worse and we may live in peace.

I think you will find most of the gripe within the community is the lack of police numbers not the ability of the police officers we have. There is simply not enough government funding to have more boots on the ground to combat our rising crime rates in the bay.

They have been there for me when needed and appreciated very much. Thanks guy’s

Well said mate … can’t thank our officers enough who keep our community safe. It is indeed a tough gig… Caught between policymakers & people.

I agree 100%. The bit that gets me, are the comments, “where are the police when you need them?” I’ve always said that the police don’t have a functioning crystal ball. My dad was a cop for many

years when I was a kid. On a daily basis, we would see Dad come home frustrated with the judicial system. Everyone knew Dad as the gentle giant. He had a heart of gold and would use as little force as possible so as not to injure offenders. This often came back to bite him. Live in the same house as a cop, and you’ll soon change your attitude.

Excellent article. You nailed it. I went and thanked them yesterday with a huge box of chocolates. We had a few laughs and I thanked them for all they do for this community. My last words were stay safe. Personal experience certainly makes you appreciate what they do for you.

Very good points. There are legitimate gripes though, but more to do with the system and the dreaded Policelink. I would encourage the public to make a complaint online on the Policelink website when they get a less that favourable response that does not meet a reasonable expectation. It’s the only way to drive improvement. But yes in my experience the local officers do an exceptional job under trying circumstances.

SIGNAGE FROM THE PACK

that challenge stigma and misinformation surrounding mental health.

Recent events have underscored the importance of supporting one another during challenging times. It is imperative that we have responsible conversations

With almost half of Australians facing mental health challenges in their lifetime, it’s clear that no community is untouched by these issues.

The Australian Mental Health Prize serves as a platform to honour individuals who have made significant contributions to

mental health advocacy and service provision.

Nominations for the 2024 prize are open until July 8, with winners announced on September 23, 2024. Categories include Aboriginal or Torres Strait Islander, lived experience, professional, and community hero.

To nominate, visit www. australianmentalhealthprize. org.au

KINGFISHER Bay Resort is set to light up the skies of K’gari, proudly announcing ‘Illumina’, an ALL-NEW interpretive light show, and the latest product launched by the island’s four-star ecotourism property.

Set amidst the natural beauty of the wallum wetlands within the grounds of Kingfisher Bay Resort, the innovative installation aims to enhance visitor experience and provide a unique nighttime attraction, exclusive to resort guests.

‘Illumina’, the new artistic platform, will showcase the world’s largest sand island with the ‘Return to Sky’ exhibition, an extraordinary journey of discovery, regeneration, and growth, told in one mesmerising 20-minute light show.

To bring the product to life, Kingfisher Bay Resort has engaged Melbourne-based international Light Artist, Bruce Ramus, and his team from Ramus Illumination, renowned for creating symphonies of light and colour at various destinations around the world, including Wintjiri Wiru at Uluru, an Australian tourism first.

Bruce Ramus, Director of RAMUS Illumination expressed his admiration for

K’gari, describing the island as the “Ultimate regenerative space. The inspiration behind ‘Return to Sky’ comes from the light within unique landscapes and vibrant ecosystem that is K’gari – the constantly shifting sands, the island’s natural healing qualities, and its incredible ability to regrow itself will all be celebrated.”

“Illumina will captivate audiences and enrich the mind and soul, while evoking a sense of wonder and appreciation for this remarkable natural environment”, Ramus added.

With the installation set to launch in September 2024, Kingfisher Bay Resort promises to elevate the status of the Fraser Coast to more than a premier tourist destination.

Kane Bassett, Group General Manager of Kingfisher Bay Resort expressed his excitement

for the groundbreaking product, “We are thrilled to offer visitors an enchanting nighttime spectacle unlike any other product we’ve seen on K’gari, with innovation that’s the first of its kind in Queensland.”

“The ‘Return to Sky’ narrative aligns perfectly with our commitment to providing unparalleled experiences, connecting guests with the movement, texture, and colours of K’gari”, Mr Bassett said.

A range of accommodated ‘Illumina’ experiences are available for pre-booking now, in preparation for the show’s official opening later this year. Visitors can opt for the Platinum, Gold, Silver, or Bronze packages, staying at Kingfisher Bay Resort, with ferry transfers and food and beverage inclusions.

FRASER Coast dog owners are being urged to keep their animals under control to ensure community safety and avoid being caught by the Queensland Government’s tough new dangerous dog laws.

Fraser Coast Deputy Mayor Paul Truscott said the updated animal management laws meant irresponsible owners of dogs that attack and cause serious injury or death can now face jail terms of up to three years and fines up to $108,000.

“Pet ownership provides a lot of enjoyment, but it is also a long-term commitment and comes with responsibility for the pet, to the community and the environment,” he said.

“Responsible dog ownership is crucial for the safety and well-being of our community and dog owners must maintain proper control of their pets at all times to keep themselves, their pets, other members of the community and other animals safe.”

Cr Truscott said the maximum fine for failing to take reasonable steps to ensure a dog does not attack had doubled to more than $92,000 as part of the changes to the Queensland Government laws.

“Five dog breeds, including Dogo Argentino, Fila

Brasileiro, Japanese Tosa, American pit bull terrier or pit bull terrier, and the Perro de Presa Canario or Presa Canario, have also been banned from 28 August 2024,” he said.

“Despite the significant changes showing less tolerance for inappropriate behaviour by dogs and owners, the toughest penalties will only impact a few dog owners.”

The changes come after a year-long review of the Animal Management (Cats & Dogs) Act 2008 and the recommendations of a task force that included the Department of Agriculture and Fisheries, several local governments, the Local Government Association of Queensland, and RSPCA Queensland.

The changes will be supported with a $7.57 million Queensland Government funding package, which will provide more coordinated, consistent, and effective government action in response to dog attacks, and support dog management initiatives in First Nations communities.

The funding will also include a community education and awareness campaign rolled out over three years to build responsible dog ownership, prevent dog attacks, and reduce the risk of harm from dog attacks.

For more information about responsible pet ownership and the services provided by the Fraser Coast Council, please visit https://www.frasercoast. qld.gov.au/animals-and-pets

THE FLOW of patients arriving via ambulance to Fraser Coast facilities has become significantly more efficient with the opening of a new Patient Access Coordination Hub (PACH) at Hervey Bay Hospital. The Miles Government’s $150,000 investment transformed the former Transit Hub into this new facility, enabling staff to better manage patient movements in and out of Hervey Bay and Maryborough Hospitals.

Utilising real-time intelligence from ambulance operations, the collaboration between Wide Bay Hospital and Health Service (HHS) and Queensland Ambulance Service (QAS) provides comprehensive visibility of the patient journey.

This enhanced coordination allows staff to anticipate and understand both current and potential demand impacts on EDs and other facilities, ensuring hospitals are better prepared for patient arrivals and treatment. The PACH also includes Staffing Nurse Managers who can summon additional personnel to manage staffing levels in realtime as required.

“We want people across the Fraser Coast, including Hervey

Bay, to spend as little time as possible in our hospitals once they are better,” said Member for Hervey Bay Adrian Tantari.

QAS Director for the Wide Bay Region, Warren Painting, highlighted the benefits, “The PACH follows a patient’s journey from the time they call an ambulance, to their treatment at the scene, through to their admission at hospital, and on to their discharge. This coordination ensures the best possible health care experience for patients and benefits both QAS and HHS by providing visibility into community ambulance responses.”

Wide Bay HHS Executive Director, Ciaran McSherry, expressed excitement about the new model, “After seeing the improvements this new model has made in other Queensland hospitals, it is exciting to see it

up and running on the Fraser Coast.

“We are committed to improving patient outcomes, ensuring patients are treated as quickly as possible according to their clinical condition, and supporting our staff through innovation to deliver highquality patient care.

“This means we can ensure our patients receive the right treatment, at the right place, at the right time.”

“Patient flow is a whole hospital responsibility,” McSherry added. “Our PACH provides real-time data and intelligence across many parts of our hospitals combined with ambulance demand in the community to make informed decisions and immediate actions to enhance coordination of patient flows.”

DON’T BE LEFT OUT IN THE COLD THIS WINTER

THE HERVEY Bay Woodcrafts Club is eagerly preparing for its annual Christmas in July sale, set to take place on Sunday, July 14th.

The Club attracts all levels of woodworking enthusiasts, both male and female who gather weekly at their Torquay shed, dedicated to refining their skills with some of the best equipment available.

The Club is open on Monday, Wednesday and Friday mornings from 7am till 11.30am.

The workshop is equipped with the very best of equipment, this includes a full range of big and small wood lathes, bandsaws, router table, drum sander, table saws, jointer, scroll saws and various sanding machines, all underpinned by a ducted dust extraction system.

Club members can bring their own timber, but the club also accepts donations of wood; these are vital for new and ongoing projects. This collective effort fuels the creativity that the club is known for.

The Club has recently purchased a mobile bandsaw timber mill. An onsite timber

milling service is available upon request.

Jenny Micallef, the club’s enthusiastic Events Coordinator, looks forward to the upcoming sale.

“Our members freely create their pieces here and generously donate some of their works to the sale. Proceeds from the sale help new equipment and other club expenses,” Jenny explained.

imaginative designs are a highlight of the event.

“It’s truly inspiring to see the beautiful and inventive items our members create. Each piece reflects their unique vision and skill.”

“Not every item will be Christmas-themed, but there will be plenty of unique gift options suitable for people of all ages.”

Jenny also highlighted the exceptional creativity of the club’s members, whose

The Hervey Bay Woodcrafts Club, located at 187 Bideford Street Torquay next to the Hervey Bay Tennis Courts, will open the doors for the Christmas in July sale from 8am to 3pm on Sunday, July 14th.

Visitors can expect to find a variety of unique craft items, perfect for gifting or adding a touch of handcrafted charm to their home.

TRANSFORMING secondhand cutlery into garden art, creating a masterpiece from denim offcuts, and sculptures from discarded furniture—it’s time to turn waste into art!

Entries are now open for Fraser Coast Regional Council’s annual Waste to Art competition, which now includes a new outdoor category and an increased total prize pool of $5000.

Resource Recovery spokesperson Cr Zane O’Keefe said this exciting competition and exhibition challenges how we look at waste while allowing entrants to showcase their artistic ability.

“Now in its 7th year, Waste to Art is open to artists of all ages to create a work of art using items destined for landfill,” he said.

“It was wonderful to see so much creativity last year, with 135 entries across four categories: 18 years and over, 12 to 17 years, 8 to 11 years, and under 8s.”

Arts and Culture spokesperson Cr Sara Diana Faraj said the new ‘outdoor category’ would allow for larger, more ambitious artworks that expand beyond the traditional gallery space.

“The total prize pool has increased to $5000 thanks to

our generous sponsors – Hyne Timber, Cleanaway, Reuse and Recycle Group, and Nugrow,” she said.

“The first prize winner this year will receive $1500 – up from $1000 last year. The new outdoor category also has a $1000 prize.

“All entries will be displayed in the Waste to Art Exhibition at Gatakers Artspace in Maryborough at the end of the year.

“Members of the public can also vote for their favourite artwork during the exhibition with the People’s Choice Award. Don’t miss your chance to make a creative impact and

possibly win big!”

Artworks must be made from items destined for landfill or repurposed items and materials sourced from tip shops, op shops or second-hand shops.

Entries close on Friday 18 October 2024. Entry is free and open to all ages.

Winners will be announced on Friday 15 November at the opening of the exhibition at Gatakers Artspace in Maryborough, which will run until 5 January 2025.

More details including terms and conditions and entry forms are available at www. frasercoast.qld.gov.au/waste-

BOB McKINNON PRESENTS

CONSTRUCTION of the

$108.7 million Hervey Bay City Centre community hub is full steam ahead, with a new crane installed.

The flat top tower crane is 45 metres tall with a 70-metre arm, and will be used to help move heavy materials around during construction of the new five storey building on the corner of Main Street and Torquay Road in Pialba.

The project, which is supported by $40 million from the Australian Government, and additional funding from Fraser Coast Regional Council, is now six months into what will be a two-and-a-half-year build – due for completion in mid-2026.

The new community hub will include a Disaster Resilience Centre, an expanded library over two levels, a new public

plaza, and flexible spaces for meetings and events.

More than three-quarters of this development will be community space, with the new hub to be the community’s one-stop spot for learning, socialising and accessing council services.

The project is funded through the Hinkler Regional Deal - a partnership between the Australian Government, Fraser Coast Regional Council and Bundaberg Regional Council that seeks to build on the area’s strengths to provide economic growth and longterm employment.

More details on the project is available on Council’s Engagement Hub www. frasercoast.engagementhub. com.au

Fraser Coast Regional Councillor, Daniel Sanderson

said, “National construction company Hansen Yuncken began work on the new Hervey Bay City Centre community hub in January, and the project has now reached a significant milestone with the installation of the crane in the middle of the site.”

“With an expanded library spanning two levels, an outdoor public plaza and versatile community spaces that can be booked day and night, the new community hub will become a focal point for both residents and Council operations.

“This transformational project for Hervey Bay will revitalise the Hervey Bay city centre, create jobs and drive business investment.”

PODCAST SERIES

This ten-part podcast and video series is now availbale on YouTube. The project features experts in their respective fields, engaging in informative interview-style conversations around important social impact issues within our community, with thanks to the Australian Government’s Department of Social Services – Social Shift Program.

Aging Community

Kirsti Kee Mental

Education

Luke Schoff

Darren Bosley Youth

Tanya Stevenson

COUNTRY to Coast, QLD is urging residents and visitors to speak up about what boosts their health and wellbeing where they live.

Country to Coast, QLD Board Chair Dr Peter Dobson said the My Healthy Community Survey 2024 was the best way for people to influence a new approach to driving better health outcomes in their community.

‘As a health professional myself, I know many things can influence someone’s health and wellbeing before they even come to see me – their social connections, access to green spaces, their sense of neighbourhood security - all these factors contribute to health outcomes for our community,’ said Dr Dobson.

‘The My Healthy Community Survey 2024 will help fill that gap and set a new direction for designing and planning responses to local health issues.’

Country to Coast, QLD Chief Executive Julie Sturgess said the My Healthy Community Survey was one of the most important community health consultation exercises across the region in recent times.

‘The research shows that

many social and environmental factors influence health and wellbeing well before people start to look for a GP,’ said Ms Sturgess.

‘We definitely want to hear about the community’s perceptions of health services in their area and whether people find health information confusing, but we also want to know whether they enjoy strong neighbourhood connections or whether spiritual health is important to them.

‘It’s this feedback that will help us dig deep and develop a new approach to build healthier communities in the short-, medium- and longterm.

The My Healthy Community

Survey 2024 is open to all residents and visitors who are aged 18 years and over, and all responses are anonymous and confidential.

By simply sharing their views, everyone who completes the survey can enter the prize draw to win one of 20 x $100 grocery cards. Terms and conditions apply.

‘Fifteen minutes is all it takes to tell us what really makes you feel you’re on the path to better health,’ said Ms Sturgess.

My Healthy Community Survey 2024 closes Sunday 14 July.

Visit the Country to Coast, www.c2coast.org.au/about/ my-healthy-community-survey/ website to find out more and to take the survey.

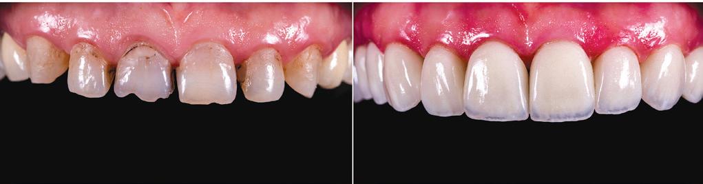
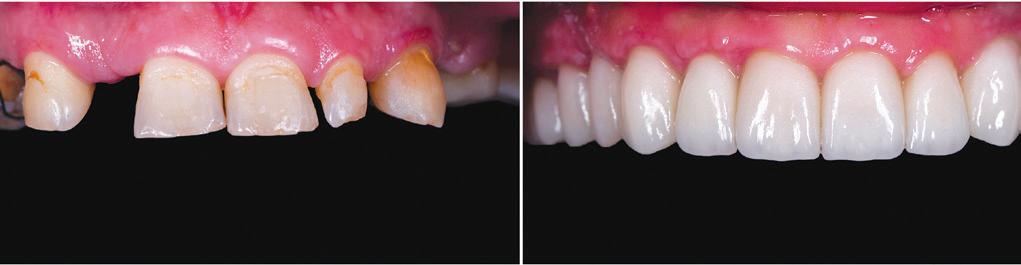
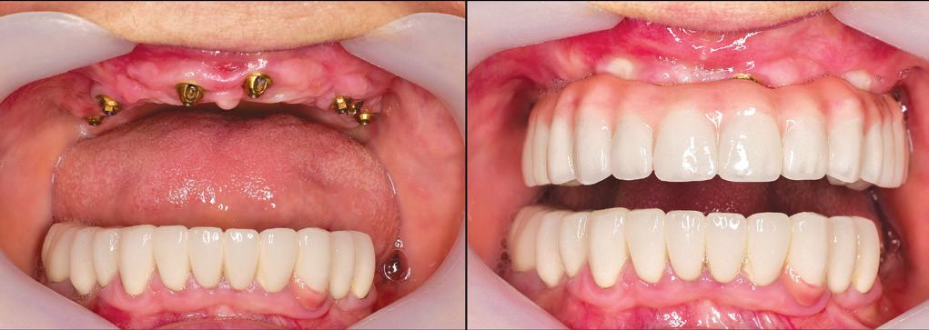
AVOIDING THE DENTIST?

HERVEY BAY’S MOST LOVED FRESH FOOD

OPEN 7 DAYS

SAVING WALLETS FOR 10 YEARS

• A focus on good customer service from the moment of entry until departure

• To provide you with the highest standard of dental care in a safe and healthy environment

• To strive for pain-free and positive treatment outcomes

• A fair and competitive pricing structure

• To make every effort to run on time, our aim being to see you within fifteen minutes of your appointed time

• Manageable treatment plans

• To make every endeavour to see you on the day if you have an emergency

• Child-friendly environment to allow your little ones to feel relaxed and comfortable

1 William Dean Ave, Urangan (near the airport) P 07 4128 9276 www.blueskydental.com.au

Opening Hours: Mon to Thurs 8.30am-5pm | Friday 8.30 to 1.30pm

• From farm to plate vegetables

• Massive range of seasonal fruit

• Retail & Wholesale orders welcome

• 100% Local family owned

• Free range eggs

• Fresh tasty juices

• New specials every week!

• Huge variety of specialised produce

IN A WORLD where excess often equates to success, our society finds itself immersed in a culture of indulgence.

We’re bombarded with messages urging us to consume the newest, the most, and the largest of everything.

Whether it’s the latest gadget, the extra-large fast-food meal, or the buffet promising unlimited servings, we’re constantly pushed to want more.

While this culture of consumerism may seem harmless, its impact on our health is profound.

The allure of upsizing and indulging in cheap, readily available treats has led to a staggering rise in obesity and related health issues.

As we mindlessly munch away while glued to our screens, we become disconnected from the true nourishment our bodies need, and instead, we fill ourselves with empty calories, artificial additives, and excessive portions.

It’s crucial to recognise that our worth extends far beyond the material possessions we

accumulate or the amount of food we consume.

Each one of us is inherently valuable, deserving of care, respect, and nourishment in its truest sense.

We owe it to ourselves to prioritise wholesome food that fuels our bodies and movement that nurtures our well-being.

In the pursuit of self-worth, it’s important to remember that we are not garbage trucks, tasked with finishing every plate that comes our way.

We have the agency to choose what we put into our bodies, and it’s essential to approach eating with mindfulness and

intention.

By being present and aware of our dietary choices, we can cultivate a healthier relationship with food and ultimately with ourselves.

Let us shift our focus from mindless consumption to conscious nourishment.

Instead of seeking validation through excess, let us find fulfilment in honouring our bodies with nutritious meals and meaningful movement.

Embracing self-worth means recognising that we are deserving of the time, effort, and love required to prioritise our health and well-being.

As we navigate this gluttonous society, let us reclaim our worth and redefine what it means to truly nourish ourselves.

It’s not about the size of our portions or the abundance of our possessions; it’s about cultivating a deep sense of selfrespect and care that extends to every aspect of our lives.

TAP INTO BIG SAVINGS

THE LIVEWELL Hervey Bay podcast recently sat down with Rita Caukurs, a local Naturopath who has been in the industry for 25 years.

The focus of this podcast was to explore the use of naturopathy and natural therapies focusing on diet, lifestyle changes and practical steps people can take to improve their health.

“In the last five to 10 years, there has been a huge shift with naturopaths becoming more science and evidence-based with their practices and their treatment options,” said Rita.

“We are about preventative health. Traditionally when people came to see naturopaths, they are worried about the cost. They are worried they are going to be over prescribed

with a heap of supplements. This certainly isn’t the case.”

“Now we have a lot more people using naturopaths as their first line of therapy.”

“People are wanting to make sure they are putting all the right things into their body, from a food to supplements to ensure they are having the best opportunity to prevent disease.”

“They want to live the healthiest and longest life they can.”

“Most Western diseases like heart disease, kidney disease and cancer are all now considered preventable lifestyle diseases.”

“The true statistics show that only 3% of obesity is actually inherited genetic. The rest of it comes down to diet and lifestyle choices.”

“Therefore, we try to encourage

people to use natural services and look at diet, lifestyle and environmental factors to help prevent these diseases.”

“We are breaking the cycle, there is more to food than just your standard meat and three veg.”

“When you come to see a naturopath, we are looking at your upbringing, the food you currently eat, any viruses that you may of had recently to try and figure out what could be impacting health”.

“Everything we put into our body is 100% going to impact your health.”

“Majority of the food we have in our supermarkets to is not real food, its manufactured products imitating food.”

“The vegan alternatives we find in the supermarkets have a huge

amount of chemicals in them to make them look and taste like meat.”

“I would encourage everyone to go to your local farmers market or grow your own fresh fruit and vegetables. At least then you know its real fresh food going into your body.”

“I understand budget is a big factor for everyone, so even simple things like getting up when the sun gets up, eating before the sun goes down, you’re going to make a huge shift in your health.”

“When a client comes to see me with an alignment issue (sore neck, back etc), rather than band aiding it with painkillers, I will look to see what the trigger was.”

“If we are looking at something structural, it’s going to take some time to heal, and I would recommend you to take some nutrients that are going to speed up that healing.”

“For example, if there are signs of inflammation going on in the body, we might jump straight to herbal options instead of supplements with nutrients, like turmeric. Most people have taken turmeric but there’s a good difference in the different qualities of turmeric options on the market.”

“Its like food from the supermarkets, supplements are just the same in the quality available.”

“Stress also has a huge impact on our health. We all need to make

sure we are managing this and seeking help when needed.”

“Staying active is so important, we were born moving and we really should be moving right up until our very last day.”

“You don’t have to have structure, simple things like parking further away from work, spend time in the garden and playing with pets.”

“If we don’t move, we are dramatically reducing our lifespan.”

“I would recommend anyone thinking about going to see a naturopath to make a list of things you want to address. We ask lots of questions which can be quiet overwhelming, but above all make sure they are qualified.”

A PLAY tackling the challenges of growing up gay at an all-boys Catholic school in central Queensland in the late 1990s is coming to the Brolga Theatre in Maryborough next month.

Fraser Coast Mayor George Seymour said nationally acclaimed Shake & Stir Theatre Co had transformed journalist Shannon Molloy’s best-selling memoir, Fourteen, into a must-see theatre production that was touring the country over the next few months.

“This production is a blend of honesty, humour and heart following the life of Year 9 student Shannon Molloy in 1999 as he navigates the challenges of keeping his sexuality a secret in an era when acceptance was rare,”

Cr Seymour said.

“This coming-of-age memoir is about adversity and tragedy, but is also a story of resilience, hope and hilarity.

“Despite the challenging subject matter, the music is very uplifting with a nostalgic mixtape of 90’s hits from Shania Twain to The Spice Girls.

“I hope audiences enjoy the adaptation and that it

helps foster conversation, understanding and support within our communities.”

Fourteen is on at 11am and 7:30pm on Wednesday July 17 at the Brolga Theatre in Maryborough. Tickets are $40 for adults, $35 for Friends of the Brolga, $37 for pensioners/seniors and $20 for students/children.

Suitable for ages 14 and up. This project is supported by the Queensland Government through Arts Queensland and was originally co-produced with QPAC and Brisbane

Cr Seymour encouraged Fraser Coast residents to sign up for the Brolga’s email newsletters to be the first to know about upcoming shows and to access exclusive offers and pre-sale periods.

You can register for the eNewsletters on the Brolga Theatre’s website: www. brolgatheatre.org – and you can become a Friend of the Brolga for a low membership fee which entitles you to discounted tickets to most performances.

AUSTRALIA is changing, and as a region, we need to change with it, finding new ways to create our social glue.

Insightful

demographer Simon Kuestenmacher recently highlighted a profound shift: religion no longer serves as the primary social glue in our communities.

Research shows that only 47.8% of the Fraser Coast identifies as Christian, while 41.3% have no religious affiliation at all.

This raises a critical question: how do we pull our community together? The answer lies in a common denominator that now binds Australians: sport.

to unite us.

Therefore, if we are to invest in infrastructure, sports facilities and events should be at the forefront.

belonging.

Unfortunately, our sports infrastructure has been underfunded and overlooked for too long.

From the Matildas’ inspiring performances to the fervour of the State of Origin, sports have a unique ability

Sports not only serve as the fabric of Australian communities but also play a crucial role in keeping our youth engaged, improving health and fitness, and fostering a sense of

By developing better sports facilities capable of hosting state-level competitions, we can attract more events, boost local pride, and provide our youth with opportunities to excel.

Investing in sports is not just about building fields and stadiums; it’s about creating a vibrant, healthy, and united Fraser Coast. It’s time we prioritise sports infrastructure and recognise it as the essential glue that can hold our community together in these changing times.

Festival.

A NEW version of the Duncan Chapman statue was unveiled recently at the Gallipoli to Armistice Memorial in Maryborough’s Queen’s Park.

Fraser Coast Deputy Mayor Paul Truscott said the original sculpture was damaged during the 2022 floods, with the Queensland Government providing

$100,000 to replace the landmark statue.

“The life-sized statue commemorates Maryborough born and bred Lieutenant Duncan Chapman, who was the first soldier ashore at Gallipoli on 25 April 1915,” he said.

“Since it was first installed in 2015, the statue has been visited by hundreds of

thousands of people.

“It has been the catalyst for the Gallipoli to Armistice Memorial, a world-class memorial that takes visitors on the journey of the ANZACS from Anzac Cove at Gallipoli through to the Western Front battle theatres.

“The memorial is educational and

Tax cuts for every taxpayer

Estimate yours with the

poignant and has become a must-visit attraction for tourists and residents alike. It is fantastic to have received funding from the Queensland Government to create and install this new statue, and I want to thank them for their support.”

Member for Maryborough Bruce Saunders said, “After flooding in 2022 damaged the Duncan Chapman memorial sculpture, the Queensland Government has delivered funding to infrastructure and memorial projects across the state.”

“On the birthday of Duncan, we are pleased to unveil the new statue,” Mr Saunders said.

Gallipoli to Armistice Committee Chair Nancy Bates said the new statue closely resembled the original version, but more scrutiny of available photographs allowed sculptor Mark Snell to contour facial features to a closer likeness.

“We are grateful for the support of Mr Saunders, the State Government and the Fraser Coast Regional Council for the way they have backed this community initiative,” she said.

The new statue has been sculpted by Lavaworx of the Sunshine Coast, creators of the Lighthorse statue in Pialba, the Wounded Soldier in the Gallipoli to Armistice Trail and other works in the region.

The previous Duncan Chapman statue will be placed under cover in a yet-to-be-determined location to be preserved for future generations.

Maryborough residents raised funds for the original statue, which was unveiled on the eve of the 100th anniversary of the landing at Gallipoli, with the new statue unveiled today, 136 years after Lieutenant Chapman was born.

AFTER captivating audiences worldwide from Paris to Las Vegas, Aussie magician and TV personality Apollo Jackson is bringing his magic back home with his new live show, ‘Beyond Illusion’ on Wednesday 25 September at the Brolga Theatre.

This highly anticipated tour marks Jackson’s return to Australian soil following a whirlwind few years that saw him performing across the globe and even setting an official escape world record in Miami, Florida.

Known for his appearances on ‘Australia’s Got Talent,’ ‘France’s Got Talent,’ and as the memorable Tim Tam Genie, Apollo Jackson has amassed a following with his unique blend of mind-bending magic and death-defying stunts.

His journey began at the age of seven in Queensland, and since then, his career has soared to new heights, including being a resident act on the world’s largest cruise ship, ‘Icon of the Seas.’

“Apollo Jackson’s return is more than just a performance; it’s a celebration of his incredible journey and growth as a magician,” says a spokesperson for the tour.

“Audiences can expect a show like no other, featuring illusions that appear CGI-like, grand

stunts, and magic that will leave them on the edge of their seats.”

‘Beyond Illusion’ promises to deliver a family-friendly spectacle that showcases Jackson’s extensive experience and creativity.

“We are thrilled to bring Apollo’s innovative magic back to Australia,” the spokesperson added.

“His ability to combine traditional magic with modern, mind-blowing illusions truly sets him apart.”

Jackson’s resume boasts impressive feats, such as predicting the Melbourne Cup Trifecta live on radio and executing live TV escapes.

His latest achievement includes setting a new

world record for the fastest straightjacket escape at sea, further cementing his reputation as a master illusionist.

“Apollo Jackson’s performances are a testament to his dedication and passion for the art of magic,” the spokesperson emphasised.

“Every trick, every stunt is designed to amaze and inspire, making ‘Beyond Illusion’ an unmissable event.”

Don’t miss the chance to witness Apollo Jackson’s extraordinary talent as he returns home with ‘Beyond Illusion,’ a show that promises to redefine the magic experience.

For more information visit apollojacksonofficial.com

St James Lutheran Church

‘Called to Share’

9am every Sunday

Urraween Road - West of Hospital

• Income Tax Returns

• Bookkeeping and Payroll Services

• Business Activity Statements

• Assistance with setting up a business

• CFO Services

• Xero Advisor Certification

• On-site visits - we can come to your business

EMERGENCY SERVICES

NEW Police Station

NEW Fire & Rescue Station

NEW Police Helicopter

NEW Water Police Facility

Urraween Ambulance Station

REC & ENVIRO

COMPLETED Great Sandy Strait Marine Park Review

NEW Turtle Rehab Centre

NEW Pump Track

UNDERWAY Urangan Harbour Masterplan

REOPENED Eurong Information Centre

ENERGY

EXPANDED Pialba Substation

NEW Torquay Local

Connected Battery

NEW EV Charging Stations

ROADS

HEALTH

NEW ED Expansion

NEW Mental Health Unit

NEW Multi-Storey Carpark

NEW 24 Bed Ward

UPGRADING INTERSECTIONS

Booral Rd & Boundary Rd

Pulgul St & Moolyyir St

Ibis Blvd & Fairway Drive

Pialba - Burrum Heads Rd & Hervey Bay - M’Boro Rd

INCREASED Patient Travel

Subsidy

UPGRADED Hervey Bay

TAFE Nursing Hub

EDUCATION

NEW School Halls

Urangan SHS

Urangan Point SS

Fraser Coast Anglican College

UPGRADING Tuckshops

Kawungan SS

Pialba SS

Sandy Straits SS

NEW & REFURBISHED Classrooms & Specialist Spaces

Hervey Bay SHS

STEM Block

Kawungan SS

Hervey Bay Special School

Urangan SHS

Wellbeing Hub

Bayside Christian College

Urangan SHS

UPGRADING Sport Facilties

Fraser Coast Anglican College

Bayside Christian College

FRASER Coast residents eager to learn more about the journey of their yellow recycling bin contents can sign up for a

tour of the region’s recycling

in early July.

Cr Michelle Byrne said about 8,000 tonnes of mixed recyclables from the kerbside collection of yellow-lid recycling bins were processed annually at the Materials Recovery Facility (Recycling Centre).

“The recycling centre tours will give residents a better understanding of what they can put in their recycling bin and where it ends up,” she said.

“Residents will learn practical tips and tricks for making recycling

easier at home and reducing contamination.

“Acceptable items for the yellow recycling bin include packaging, glass jars and bottles, paper/ cardboard, hard plastics, steel and aluminium cans and containers. Items such as clothing, batteries and green waste are not suitable for recycling in these bins.

“Council has an A – Z Recycling Guide on its website with a comprehensive list of what goes where.

“Recycling is good for the environment, good for the economy and good for the local community.

“The top three recycling rules to remember are – never bag it, take the lids off jars and bottles, and

rinse your containers.” Bookings are essential as places are limited, and attendees must wear closed-in shoes with access via stairs.

To reserve a spot, call Council on 1300 79 49 29. Tea, coffee and a light morning tea will be provided. For more information on recycling and to download an A-Z Recycling Guide, go to https://www. frasercoast.qld.gov.au/recyclingguide

MORE local women and girls will be inspired to take up sport and recreation activities with 944 applications in Queensland, sharing in an initial $8.9 million aimed at boosting participation.

The Government’s $15 million Active Women and Girls program is set to deliver greater opportunities for playing, coaching, volunteering, officiating, team management and club management, attracting more women and girls to get involved.

So far, around Hervey Bay, Maryborough, Bundaberg and Gympie, 46 local projects are receiving a combined $345,000.

The applications have come from clubs, local governments, and state-level sport and active recreation organisations, with funding going towards education and training, resources and equipment.

Clubs such as Fraser Coasters Wheelchair Basketball and Wide Bay Bulls Rugby League are being supported to develop greater pathways for female inclusion and participation.

State level organisations such as Surfing Queensland, Australian Trail Horse Riders

Association and Queensland Gymnastic Association are receiving funding through the program to improve participation, promotion and employment opportunities.

The program was launched in November 2023 and aims to boost participation across all facets of sport and active recreation.

More successful applicants are expected to be announced in the coming months.

Member for Hervey Bay Adrian Tantari said, “I’m so pleased that clubs such as Hervey Bay Triathlon Club and Hervey Bay Surf Life Saving

Club have been successful with their applications for funding”.

“The health and wellbeing of Queenslanders is the top priority of the Miles Government, and it’s vital we improve active participation opportunities for women and girls”.

“The benefits of increased physical activity can be felt throughout the community, and this program will play a significant role in helping to create pathways to improve female participation through clubs, local governments and sporting bodies.”

TAP INTO BIG SAVINGS

JOIN OUR TEAM

We currently have a number of opportunities to join the Torbay team including:

Registered Nurse

Clinical Nurse Specialist

Lifestyle and Leisure Assistant

Hotel Services Worker

About us

At Torbay Lifestyles & Care, we offer a compassionate and respectful environment that prioritises the physical, cognitive, and social wellbeing of our residents. With services ranging from residential aged care to an independent lifestyle village, our facilities are designed to offer comfort and a high quality of life. We cater to individuals seeking a supportive community that values integrity, independence, and choice.

Join us in making a difference at Torbay, where every day is about enhancing life for our residents and their families.

Why join Torbay

We have a host of great benefits available when you join the Torbay team:

• Up to $18,500 tax exempt salary packaging benefits, plus other options to increase your take home pay

• Rewards program giving you discounts to an ever-expanding list of retailers

• Ongoing professional development and learning opportunities.

• Employee assistance program for you and your family

• A nurturing and supportive environment allows for a healthy work life balance.

• Flexible working arrangement

Shuttles

JARED Crooks, originally from Brisbane, grew up on the north side and attended Kelvin Grove High School. Raised by his parents, Jared enjoyed a happy childhood.

His father, a sportsman, was tough on Jared, wanting him to excel in sports. The mantra “Always give your best at whatever you do” was instilled in him from a young age.

When he was about thirteen his parents separated.

His father remained in Brisbane, while his mother cares for his autistic younger half-brother in Hervey Bay.

Growing up, Jared excelled in sports and won a rugby league scholarship to Padua Boys College, the same college attended by former professional rugby league player Paul Vautin.

Jared also loved cricket and martial arts, earning a black belt in

Taekwondo and Ninjitsu.

At fifteen, Jared got his first job making pizzas at Domino’s.

Within a year, he was closing the store by himself on busy Saturday nights. His other love was music, especially electronic dance music (EDM).

He remembers watching ‘Rage’ at seven and seeing Daft Punk, who pioneered EDM in 1997, opening the floodgates for the genre.

When Jared was sixteen and a half, a friend snuck him into a nightclub, where he saw a live DJ in action.

Mesmerised by the electric vibe, Jared was hooked.

He spent much of his free time buying equipment and practising mixing, scratching, cueing, spinning, and remixing.

Jared’s first car was a bright lime

green Nissan Silvia, a loud Japanese import that could set off car alarms.

Police frequently checked its sound levels. Jared loved the car and developed an infatuation with it, eventually owning five different Silvias and Skylines.

However, as he got older, he valued his license too much to continue driving such attention-grabbing cars.

At seventeen, Jared entered the car sales industry, which he knew nothing about.

“At the interview, the manager said that if I could sell a car by the end of the day, the job was mine. I ended up selling two Corollas and a Yaris, so I sort of fell into the industry. While the job was stressful at times, I loved KPIs and goals. But it was a dog-eatdog industry.”

Jared moved to Hervey Bay at

twenty-six and worked as a finance manager and car salesman.

One of his favourite jobs was working for Jobs Fraser Coast, where he used his marketing, sales, and business skills to help others, particularly youth, through the Fraser Coast Industry Careers Showcase, an annual event that remains a great legacy piece for Jared.

Now, Jared devotes himself full-time to DJing through his business, ‘Party Rights Events,’ sharing the music he loves and creating vibrant energy for everyone on the dance floor.

For Jared, it’s a mutual exchange of energy with the crowd, and he aims to bring joy to people through music.

He is also producing his debut album, which he hopes to release within the next year.

Over the years, Jared has faced

mental health issues, including major depression and anxiety.

By developing a toolkit of coping strategies, he has learned to overcome these challenges when they arise.

He enjoys the gym, ice baths, and saunas and is passionate about health, fitness, and diet.

He reads extensively on selfimprovement, both physically and mentally, and challenges his brain with puzzles and crosswords. He also loves meditation.

Now thirty-three, Jared is a single dad to his four-year-old daughter Isabelle, who has him wrapped around her little finger.

Jared loves being a dad and spending quality time with her.

Right now, Jared is exactly where he wants to be and is excited about the future.

Voice

HERVEY Bay can never be questioned for it’s natural beauty and serene environment that the choice of lifestyle is typically high on the priorities for identifying the region as a home.

It’s natural beauty and potential for an active lifestyle positions the growing city into a category that undeniably resonates with a term called “wellness”.

So what is wellness?

The concepts of mental health and wellness have garnered significant attention, underscoring their essential role in leading a fulfilling and balanced life. While they are often used interchangeably, mental health and wellness are distinct yet interconnected aspects of our overall well-being.

Understanding the relationship between these two can help individuals foster a holistic approach to health, leading to improved quality of life and resilience in the face of challenges.

The relationship between mental health and wellness is symbiotic, where each influence and enhances the other. Good mental health contributes significantly to overall wellness, while a strong state of wellness can support and improve mental health.

Local Clinical Psychologist, Dr May Chi, says it’s an important discussion with understanding the relationship between mental health and wellness.

“Terms like mental health and wellness have become so broad that it is difficult to know what we are referring to when we use these terms.”

“Health is fundamentally the absence of illness. When we are not sick or injured, everything is easier to do. Wellness is the sense of fulfillment in our life; being able to succeed in what we want to do, and being content in what we are doing.

“It’s hard to have wellness when you do not have good mental health.”

The recently popular term usage of “wellness” has an association with health, with the aim of improving physical and mental conditions that “health” incorporates.

The Australian Institute of Health & Welfare defines wellbeing as “physical, mental and social wellbeing is affected by an individual’s perceptions, emotions and behaviour as well as their ease of movement and levels of any discomfort. Mental health is fundamental to the wellbeing of individuals, their families and the community as a whole. Wellbeing can be measured by selfassessed health status and the prevalence of psychological distress in the population.”

When we research our region and the services available, we find the definition can be segmented in many ways:

• Physical wellness

• Emotional wellness

• Financial wellness

• Social wellness

• Spiritual wellness

• Occupational wellness

• Environmental wellness

This list could go on but it’s the elements of our day to day lives that all require a wellness strategy.

One of the most important assets for a region as a wellness destination is the environment and the natural beauty Hervey Bay inherits is the envy of most other Australian locations. The Bay itself is sheltered by a background of the world’s largest sand island – K’gari Fraser Island. A coastline with a backdrop that doesn’t get more tranquil than our favourite island in the world.

A coastline that provides one of the safest beaches in Queensland for families to enjoy and regular walkers provide stunning images of a sunrise. The complimentary abundance of green spaces ensures locals and visitors can always find a quite spot to relax and reflect.

The Botanic Gardens and the Esplanade offer peaceful settings that often we witness meditation, yoga, or a simple leisurely walk surely is enough evidence of the appropriateness to wellness.

The endless outdoor activities is supported by weather that again is the envy of most Australians. The growing popularity of cycling continues to grow with people appreciating the stunning views of the ocean while on water it’s kayaking, paddleboarding, or sailing in the calm waters that draws people from all over the world.

Events such as the Hervey Bay 100 & 50 triathlon events are recognised nationally for the authentic course and being embraced by residents who line our coastline. The challenge of a Gatakers Hill bike climb with unpredictable open water swims has added to the November annual event natural elements many locals have grown up with.

A key aspect of wellness is nutrition, and Hervey Bay does not disappoint. The town boasts a variety of dining options that focus on healthy, locally-sourced ingredients. The abundance of markets, including the Torquay Beachside and Urangan Pier Markets, is growing in popularity, offering fresh produce, organic goods, and craft products.

Cafes and restaurants in Hervey Bay frequently feature menus that cater to various dietary preferences, including vegan, vegetarian, and gluten-free options. The different cuisines now on offer is proving to gain a reputation for the region that tourists are rarely lacking choices.

The sense of community in Hervey Bay is another factor that contributes to its wellness appeal. Numerous events and workshops focused on health and wellness, from fitness boot camps and yoga classes on the beach to wellness seminars and

mental health workshops have developed our thinking about all aspects of health.

These events foster a sense of belonging and provide opportunities for individuals to connect with like-minded people who share their commitment to a healthy lifestyle.

Occupational wellness, which entails finding satisfaction and enrichment in one’s work, also contributes to mental health. A fulfilling job can provide a sense of purpose, achievement, and financial stability, all of which are crucial for mental wellbeing. Conversely, job-related stress and dissatisfaction can lead to mental health issues, highlighting the importance of a balanced work life.

Hervey Bay has too long been recognised for it’s high unemployment levels, particularly in youth, but a buoyant local economy has seen a reduced unemployment rates that regularly was 10%+ the previous decade.

The opportunity for the region is to leverage the growing jobs market with best practices by employers to retain staff and create positive environments for people to develop professionally and with considerations for their mental health.

The Hervey Bay Neighbourhood Centre has produced a publication – The Little Yellow Book: Wellness Guide” that lists the services available to our region.

These include Hotlines, Medical Services such as Hospitals & Medical Centres, Fitness Centres, Counselling, Psychology and other health services. It also Massage and Spa locations as well as Wellness focused services.

What is obvious is that with over 200 organisations having services available to support your mental health and wellness, we are very fortunate to call Hervey Bay our home.

The directory can be found on their website with the following link www.hbnc.com.au/the-little-yellow-book-wellness-guide

Hervey Bay is more than just a beautiful city. It is a sanctuary for those seeking to enhance their wellbeing and enjoy the natural assets and services available that can support an inner happiness we all search for. Its stunning natural landscapes, abundant outdoor activities, wellness organisations and healthy dining options, and strong sense of community make it an ideal destination for anyone looking to achieve a balanced and fulfilling lifestyle.

A PSYCHOLOGIST plays a very important role for many with their mental health and understanding how they feel and providing tools to address their challenges. Their work is a variety of activities, depending on their specialty and the settings in which they work.

Dr May Chi is a local Clinical Psychologist for The Made It Clinis and has a focus on adjustment disorders. The clinic works towards a mindset of ‘making it’ involving caring for yourself and others, carving footholds into life’s challenges, and creating meaningful experiences through purposeful action.

She is also a supervisor at PsychLab, which is a group psychology practice that focuses on growing more psychologists for the region.

“Sometimes, brains gets stuck, feelings get tangled, situations are painful, and we don’t know what to do. This can cause suffering that drags on for hours, days, months, even years. During this time, it’s hard to maintain wellness”, says Dr Chi.

She believes Psychologists work with people to consider how their thoughts, emotions and behaviours can create or hinder wellness. They apply evidence-based psychological strategies and education to help people achieve their goals.

Common goals in psychotherapy are to improve relationships, harness emotions, and clarify life direction. Therapy goals are often closely tied to what the person perceives as a good life.

“Wellness is like riding a bicycle; its stability depends on forward momentum. A person doesn’t have to be unwell before they see a psychologist or otherwise work on their wellbeing. At any stage of the wellbeing journey, we can proactively work on the flexibility, drive, and compassion it takes to maintain wellness in ourselves and our communities.”

She says the signs that someone’s mental health needs attention are not always easy to spot. They are different for everyone.

Some common signs that she sees are:

• Feeling sad more often than usual.

• Feeling like important things have lost their meaning.

• Worrying so much that you can’t sleep or need to distract yourself all the time.

• Getting frustrated at small things.

• Becoming less reliable at work and in the home.

• Not confident to do what needs to be done.

“Some of these signs are visible to others, like reliability. But many signs are internal, like worrying.”

“Asking for help is so hard because you’re so vulnerable. It’s that moment where all the struggles you’ve been keeping to yourself suddenly become real and known.”

Dr Chi identified some steps, other than seeking professional support, that could help:

• Work on a hobby, learn something new, or engage in the arts. If the brain has nothing to do, it will start to eat itself (ruminate) rather than problem solve.

• Take a moment to reflect on your day in a way that acknowledges the good, bad, and ugly. What was the best part? What was the worst part? What is a hope for tomorrow? These sorts of reflections help you take everyday steps towards more good days and less bad days.

• Try out a wellness app with good credentials. Some people learn better from technology than in-person anyway. Apps focused on mood monitoring, mindfulness, and journaling can help with wellness momentum. These activities target awareness and metacognition, which helps improve your focus and perspective.

• Look at the flip side of your pain point and do more of what matters. For example, if you feel lonely, it means that connection is important to you. Engage in activities that make you feel connected.

If you are experiencing stress or mental illness, see your GP to discuss whether it may be helpful to see a psychologist.

MORNING exercise has been a prescribed recommendation by most wellness and health advocates for decades that the view of people walking or running along the Hervey Bay Esplanade is a common picture.

In a world increasingly dominated by technology and fast-paced lifestyles, the simple act of running has undergone a quiet revolution, bringing communities together in a celebration of fitness, camaraderie, and the great outdoors. This revolution is known as parkrun.

The first parkrun was held in Bushy Park, London, in October 2004. Organised by Paul Sinton-Hewitt, the event started with just 13 runners and a few volunteers.

Sinton-Hewitt’s vision was simple: to create a regular, inclusive event that encouraged people to run together, regardless of their ability or experience.

Parkrun has expanded to more than 2,000 locations in over 20 countries which also includes Hervey Bay amongst almost 500 locations across Australia. It’s a free, community event where you can walk, jog, run, volunteer or spectate a five kilometre course that begins at the Urangan Pier every Saturday morning at 7am.

The unique course enjoys a picturesque view of the ocean along the esplanade path while also including the protection and shade from the trees for most of the course.

Hervey Bay parkrun co-Event Director Kaliki James says they have visitors from all over the world, who often comment on how beautiful the location is and how friendly and welcoming the volunteers and participants are.

“The joy that people gain from volunteering is as good as the endorphin rush from participating, with no shortage of

people putting their names down week after week to ensure the event goes ahead.”

It is something that Kaliki, and co-Event Director Katie Elder are incredibly grateful for and put down to the combination of fabulous location, great weather, nearby markets, and friendly locals.

Hervey Bay parkrun’s impact extends beyond physical fitness. Regular participation has been linked to improved mental health, increased social connections, and a greater sense of wellbeing. For many, Parkrun is more than just a weekly activity; it is a vital part of their social calendar, offering a consistent opportunity to engage with others and enjoy the benefits of outdoor exercise.

Volunteers are the lifeblood of Hervey Bay parkrun. Each event relies on a team of dedicated individuals who give their time to ensure everything runs smoothly. From setting up the course to timing runners and scanning barcodes, these volunteers embody the spirit of Hervey Bay parkrun, fostering a sense of community and shared purpose.

Hervey Bay parkrun has now achieved over 475 “parkrun days” and will celebrate its 10th anniversary on 24 August 2024. Kaliki and Katie say you can “run happy, run grumpy, run speedy, run slow, run a little, run a lot.” And by “run” they mean run, jog, walk or roll with many participants walking with friends, with a pram or a dog (one per participant, on a short hand-held lead) or completing the 5km course in a wheelchair. Organisors welcome everyone to come along with the recommendation to arrive 6:45am and allow for parking at the popular event.

For more details, visit their website https:// www.parkrun.com.au/herveybay/

Dr May Chi is a local Clinical Psychologist

IT IS WELL publicised, the significant burden of mental health issues impacting men in Hervey Bay. Approximately 75% of suicides in Australia are men and many relate the alarming figure to the lack of conversations compared to the opposite sex. Seven out of nine suicides are men.

The connection of suicide to men’s mental health is strongly discussed however there is still stigma surrounding men seeking mental health services and men are less likely to seek support.

Jillian Ramsden is the Founder and Principal at The Listening Space, where she helps individuals, business owners, and organisations to achieve the results they want through simple strategies that improve communication, well-being and increases productivity.

She has received much media coverage, multiple radio and tv interviews, speaking about the problems men face and how she has helped them, with her passion for empowering men in particular to take control of their lives.

“Over the last ten years I’ve had the good fortune of helping many men overcome personal challenges, grow to feel more empowered, manage their stress, have better quality relationships, to feel more connected with their ‘self’ and the people they love,” says Jillian.

can hold people back, before working with any emotional blocks and beliefs you may have about yourself, that are also getting in the way.

“Most coaches start with limiting beliefs (the things you tell

everything else disappears.”

Gaining more clarity around goals, how they want their life to look, will have a positive impact on a person’s direction and purpose in life.

While counselling and seeking support is recommended, she highly recommends the use of a coach that can take a top-down approach to coaching, identifying any values conflicts first, that

yourself about yourself or a situation) but unless you have cleared out the values conflicts first, not much will change or it’s going to take a lot longer. I’ve found that very often once I help a client resolve a values conflict,

This month celebrated Men’s Health week emphasising the importance for men to have regular health checks and to promote and support the health and wellbeing of men and boys in our communities.

Men’s Health Week focuses on not just physical health, but also men’s mental health and emotional wellbeing.

Jillian has identified three core problems that are hurdles for someone to live a stress-free life:

1. Not knowing who you are and feeling disconnected from the people you care about

2.The beliefs you have about being a man and your role in relationships

3. Feeling lost, losing all sense of yourself, your purpose and your meaning in life

During her years of dedication to helping men, Jillian has observed how the disconnection men experience, with who they are, can impact their lives significantly.

“I decided to dedicate my life to helping men like you, reconnect with who you are, and reconnect with the people that matter the most to you - I want kids to grow up knowing their Dad. For you to feel more empowered and live a meaningful life of purpose,” says Jillian.

Her business The Listening Space can be contacted via their website www.thelisteningspace.com.au

IF YOU notice two yellow benches along our esplanade, there is a reason for the new bright inclusion to our foreshore.

Volunteers of the Fraser Lions Club were visiting Kingaroy recently and were listening to ABC radio that discussed the concept of certain regions introducing yellow benches.

It’s part of a worldwide campaign that the yellow benches act as a symbol of having conversations that matter and to reduce the stigma associated with mental health. The yellow bench is a symbol of two relative strangers meeting each other for a real meaningful conversation about their own challenges and vulnerabilities.

Member for the Fraser Lions Club, Bruce Taylor, who has been involved with Lions Club for almost 50 years, says the club had funded the installation with approval from the Fraser Coast Regional Council to remind everyone of the importance of a friendly chat.

“Everyone is touched by mental health. Everything these days has something to do with mental health,” says Bruce.

The yellow bench is a bench that represents a safe haven to facilitate a meaningful conversation with two locations along the Esplanade – one located in Otto Merchel Park in Torquay and the other close to the intersection of Witt Street, metres from the famous

Parkrun turning point. The view from this position was described by the men as “tranquil”.

The worldwide campaign, often referred to as ‘The Friendship

Bench’, has seen the introduction of yellow benches across the globe and Hervey Bay has led the way across Queensland by adopting the mental health initiative.

Denis Love, a member of Fraser Lions for over 20 years, tragically lost a son to mental health four years ago. He understands the pain and the loss that the illness causes.

“I tried to help him. I knew he had some problems,” says Denis.

The nation loses nine people a day to suicide, seven of them are men.

The men discussed the stigma still attached to mental health and the reluctance to speak up for help.

Mental Illness is a national health crisis that communication and conversations has proven to save lives.

The introduction of yellow benches encourages people to enjoy each other’s company and a colourful reminder of how a simple chat can change someone’s path.

Fraser Lions has donated over $25,000 this year already to groups through fundraising activities that include weekly raffles held at Kondari Hotel, Bunnings BBQs as well as 4,000 Christmas Cakes sold each year which is their biggest fundraiser.

Established in 1986, the club is coming up to its 40th year of being in Hervey Bay. Our town is thankful for their continued support and for supporting mental health initiatives in our region.

• B Mee Exercise Physiology, Personal Training, Dietitian and Massage Services Ph: (07) 4124 2621

• Bowen And Holistic Health - Ph: 0402 436 063 Ph: 0403 270 641

• Bowen Health and Healing - Ph: 0408 793 880

• Emotional Freedom Techniques (EFT) Ph: 0429 631 888

• Fraser Coast OT for Kids - Ph: (07) 4124 3888

• Goldenage Wellness and Fitness; Eat Healthier & Get Fit - Ph: (07) 4194 2149

• Heal Your Body with Food - Nutritionist

Wellness Directory

Ph: 0422 403 229

• HEEA Therapy Services - Ph: 0458 895 784

• Heidi’s Bowen Therapy - Ph: 0429 78 4009

• Ortho-Bionomy on the Fraser Coast Ph: 0411 713 405

• Lou Coles Mind-Body Health Solutions Ph: 0405 727 674

• Mana Therapy Centre - Ph: (07) 4124 0292

• R&R Wellness - Ph: 0490 741 816

• Sound Solutions Therapy Service Ph: (07) 4128 4792

• Soulfusion Therapies Kinesiology Ph: 0405 463 584

• The Natural Touch Body & Skin Treatment Center - Ph: 0422 734 940

• The Nurture Room - Ph: 0408 721 788

• Virgos Natural Therapies - Ph: 0416 169 915

For more options, please see The Little Black Book www.hbnc.com.au/the-little-yellow-bookwellness-guide

Behind the wheel of his Austin Champ 1955 UK 4x4 sits Paul Davies
Robert Barton enjoys racing his 79 Landcruiser Winch Truck Natascha Gordon with her daughter Izabella, 12, both love 4-wheel driving
Silverbac Rc’s Jim Hughes with a Toyota FJ40 that he built
Glenn Thornton is proud of his Jeep Wrangler and keeps it in tiptop condition
We’ve Got You Foundation committee members and event organisers - Michelle Lockwood & Sue Dodd
Tony Oliver with his bright FJ40 with a short wheelbase
Jaida Swanson with eleven-month-old Ella Rendall and Carlin love packing up and going camping

2023

FOR SALE

Immerse yourself in a unique family lifestyle distinguished by elegance and calm within this spectacular Archetecturialstyled property, located just steps from the pristine Hervey Bay foreshore. Expertly crafted, its precise design addresses every facet of modern life, and is complemented by its magnifcent location inside the prestigious Kingston Estate.

The home’s distinctive, ageless exterior conceals a sublime level of refnement and soothing comfort, with high ceilings that food the rooms with natural light. The main living area is beautiful and pleasant, and it easily integrates with the outside entertaining area. It is ideal for a family getaway as well as entertainment.

The kitchen makes a statement with its quality appliances and walk-in pantry, while the master bedroom continues the designer theme, providing a stunning escape complete with an opulent ensuite and a walk-in robe. Three further bedrooms, a central bathroom, powder room, home offce, and a two-car garage round out the foorplan of this comprehensive retreat, which includes air conditioning and improved security screens, among other amenities. It is an indisputably prestigious site, located only steps from the shopping and medical precincts, a quick 5-minute drive from Main Street and beaches, and close to excellent schools.

ABOUT THIS PROPERTY:

 Land Area Approx. 821 sq m

 Building Area Approx. 190 sq m

 Located in Premium Kingston Estate

 6 Star Energy Effciency Standards

 Architectecturally Styled Exteriors

 Close To Hospital Precinct

 Close To Shops And Esplanade

 Remote Controlled Garage Door

 Double Garage with Drive Through Access to Rear

 Extra Large Block - Space for Caravan or Shed

 Outdoor Alfresco Entertaining Area – Approx. 24 sq m

 Full Airconditioning

 Gas Hot Water System

 Dishwasher

 High Speed Internet

 Built In Wardrobes

Contact agent – Kingston Hervey Bay

Call today on 1300 705 405

PROPERTY FEATURES:

 821 Sqm Block

 Three Large Bedrooms

 Media Room or Study

 Designer Kitchen With A Walk In Pantry

 Quality Westinghouse Appliances

 Indulgent Main Bedroom With Luxurious Ensuite And A Walk-In Robe

 Upgraded Security Screens/Security

 Approximately 5-Minute Drive From Main Street And Esplanade

 1km To Stockland Shopping Centre

All Measurements And Dimensions Are Approximate

Under construction – completion date expected May 2024

Kerry Campbell Homes are Hervey Bay’s house & land specialists. Servicing the region for more than 25 years. Building quality, afordable homes to suit any budget.

Two Decades of Outstanding Success and Dedication Carter Cooper Realty celebrates 20 years

Kim Carter is a leader, in a variety of different ways. If you ask her what her secret to success has been, across a career spanning more than twenty-five years, she will tell you that it’s all a team effort.

She has been named the region’s number-one selling agent and has been awarded the number-one office for the past eight years. A far cry from her humble beginnings.

With fifteen years under her belt as a conveyancer, a local real estate principal pestered her to join him, under his tutelage, and to just try it for a month. The year was 2000.

He knew what he saw and within a few years, she was dominating the market as a sales agent.

History and fate stepped in and Kim started Carter Cooper Realty on the 27th of July 2004.

would drive all of the buyers around to see the houses’.

With a team of twenty-four staff, Kim is acutely focused on both her role at the tip of the company spear, as well as her dedication to training new people to enter the industry.

The real estate game is a fiercely competitive one, particularly now that Hervey Bay is coming of age as a regional destination of choice.

are not as many buyers knocking down the door on every home, but they are coming from all over Australia to buy in Hervey Bay and values will stay high as a result’.

Kim has completed three terms as Zone Chair for the Real Estate Institute of Queensland for our region and is a board member of the Fraser Coast Property Industry. For her, it is about making sure the industry as a whole is well represented and our needs are heard.

‘When I first opened the office, we had a clapped out photocopier, a few bits of furniture and six rental properties.

Today, we proudly manage over sixhundred investment properties for our clients.

Donna Jenkins grew that side of the business totally organically Kim said.

Over the last twenty-years, when it comes to selling homes, Carter Cooper has sold hundreds of millions of dollars.

‘I remember we were selling homes for $85,000 back then, and we

‘We went through the boom period of 2006 and 2007, which we all thought was going to be the spike of a lifetime here, and then along came the GFC and really skuttled price growth for more than fifteen years’.

‘When COVID hit in 2020, nobody expected that we would see the bounce in real estate values like we have. The media was painting doom and gloom about the housing market and really nobody knew what to expect’.

‘The explosion in the market since then has been unprecedented and I don’t see a case where pricing will fall in our region. It’s true that there

‘I think it’s really important to make sure we are advocating for things that will make Hervey Bay stronger. We are all aware the rental issues we have and the barrier to entry for young people to buy their first home. I want to have a voice at that table and make sure we are lobbying Council for more affordable and higher density living options’.

Kim has no plans to slow down and comes to work every day, doing the very thing that she loves.

‘I get a lot of satisfaction when I am helping people. It doesn’t matter if we are selling a home, working with a buyer to find their dream home or assisting a prospective tenant to find a rental property. Their outcome matters and I want to assist them in achieving their results’.

‘If I go to get out of bed one day and it is no longer fun for me, that will be the time that I give it away. But I don’t see that happening anytime soon’.

View Saturday 29th June 2024 - 9.00-9.30 am Saturday 6th July 2024 - 9.45-10.15 am

Auction 27th June 2024 at 7.00 pm - In Rooms Web rh.com.au/herveybay/L28286941

18 Wa le Street, Point Vernon

Point Vernon Gem

This full brick home in beautiful Point Vernon needs to be seen to be appreciated. Featuring three bedrooms and a study or fourth bedroom all with ceiling fans, two bathrooms, open plan living & dining area with a slow combustion fireplace, large kitchen with quality appliances and an island bench. Wide verandas on three sides are the ideal place to enjoy the manicured gardens and the al fresco entertaining area allows you to take advantage of the outdoor lifestyle.

There is plenty of room for all the tools and toys with an oversized double garage, double carport plus an additional carport, perfect for the tinny, jet skis or trailer. Only around 200m to the Esplanade with its’ walking trails, dog friendly beaches & coffee shops this home is set high on the point and enjoys the cooling sea breezes. Things we love about this home:

• Double brick construction

• Three bedrooms + a study or fourth bedroom

• Open plan living/dining

• Two bathrooms (separate WC)

• Parking for four or more vehicles

• Established and manicured gardens

The owner is serious about selling and will consider offers prior to the auction. Call today to arrange an inspection.

Hervey Bay 4128 2188 357 Esplanade, Scarness rh.com.au/herveybay

Raine Horne Hervey Bay

No 1 Office

Sales Dollar Value

Queensland

Proudly serving our local community for over 40 years, Raine & Horne Hervey Bay has been named Top O ffi ce in the state on Sales Dollar Value.

Due to our national brand, Raine & Horne Hervey Bay has the market reach to directly target NSW and VIC buyers - these buyers are prepared to pay a premium for what Hervey Bay has to off er.

Consistently achieving the higher possible sale price for our sellers has made us the No 1 O ffi ce from Port Douglas to the Gold Coast.

Considering selling - talk to us to achieve a premium price - phone (07) 4128 2188

Hervey Bay 4128 2188 357 Esplanade, Scarness rh.com.au/herveybay

Auction Thursday 27/6

View Saturday 29th June 2024 - 2.15-2.45 pm

Saturday 6th July 2024 - 1.30-2.00 pm

Auction 27th June 2024 at 7.00 pm - In Rooms

Web rh.com.au/hervey bay/L27748330 2 2 3

4 Waigani Avenue, Kawungan

Act Now, Your Coastal Living Beckons

As you step into this unique home, you’re greeted by a ground floor adorned with a spacious double garage and convenient laundry facilities. Descending further, the generous space beneath the house presents an opportunity for versatile usage, whether it be for additional storage or to transform it into an area tailored to your desires. Situated on a 600m2 block, the rendered masterpiece has three inviting bedrooms, a main bathroom, the comfortable main bedroom features a walk-in wardrobe and an ensuite with sliding doors leading out to the veranda. The kitchen is positioned in the heart of the home overlooking the lounge and dining room which both lead onto the veranda, ideal for entertaining guests. Whether you’re hosting gatherings or lively evenings, the seamless flow between indoor and outdoor spaces ensures effortless entertaining for both family and friends.

61

View By Appointment

Auction 27th June 2024 at 7.00 pm - In Rooms

Web rh.com.au/hervey bay/L27750775

Auction Thursday 27/6

Waterview Drive, Dundowran Beach

Coastal Home on 1/2 Acre with Expansive Deck and Two Sheds

Offering a perfect blend of coastal charm and modern comfort, this home is ideal for those seeking a peaceful retreat by the sea. This home boasts four bedrooms, providing ample space for family and guests. The main bedroom, located upstairs, features an ensuite bathroom for added privacy and comfort. Step onto the spacious deck and bask in the tranquility of your surroundings. With ample space for lounging, dining, and entertaining, the deck is the heart of outdoor living. From the inviting interiors adorned with natural textures to the large windows that flood the living spaces with natural light, every detail of this home evokes the essence of coastal living. Relax in the cozy living area or prepare meals in the well-appointed kitchen, complete with modern appliances and ample storage.

Hervey Bay 4128 2188

357 Esplanade, Scarness rh.com.au/herveybay

1/14 Bentley Way, Urraween

Stunning Value – Premium Build

Pristine 3-bedroom, 2-bathroom house located in the sought-after Highview Estate. This property boasts a modern open-plan living area and additional outdoor leisure space, perfect for entertaining guests or relaxing with family. The modern kitchen features high-quality appliances, premium fi ings, and ample storage. The property also includes an epoxy floor double garage, providing secure parking for two vehicles. This home represents outstanding value in this estate; don’t miss out on the opportunity to own this beautiful property in a great location.

View By Appointment

Price $680,000

Web rh.com.au/hervey bay/L28285641

1/21 Cunningham Street, Torquay

Walk to the Esplanade

This newly constructed house by Ron Brown Homes epitomizes modern design and functionality with 3 bedrooms, 2 bathrooms, media room and a double garage with coastal living in mind. Premium finishes and lofty 9 foot ceilings adorn the interior, while the open concept layout seamlessly connects living spaces. Conveniently located just two streets from the Esplanade, enjoy easy access to amenities and the beach. Don’t miss this opportunity for prestigious coastal living - contact us for a viewing today!

View Saturday 29th June 2024 - 3.00-3.30 pm Saturday 6th July 2024 - 1.30-2.00 pm

Price On Application

Web rh.com.au/hervey bay/L23534961

Hervey Bay 4128 2188

357 Esplanade, Scarness rh.com.au/herveybay

439 Boat Harbour Drive, Torquay

Tranquil Retreat in Central Location

Step into tranquility with this charming 2-bedroom retreat. Boasting a sunlit sunroom, a spacious living area, and a large timber deck, this home offers the perfect blend of indoor-outdoor living and modern comfort. With a double shed for added storage and convenience, this property presents an ideal opportunity for those seeking a peaceful yet centrally located haven. Whether you’re downsizing, starting a new chapter, or seeking a weekend retreat, this charming haven offers the perfect blend of comfort, convenience, and relaxation!

View Saturday 29th June 2024 - 1.30-2.00 pm Saturday 6th July 2024 - 12.45-1.15 pm

Price Submit Offer Web rh.com.au/hervey bay/L27635756

553 Oregan Creek Road, Toogoom

Seaside Living Opportunity

This amazing home is designed to capture the sea breeze whilst being within walking distance to the beach. With 3 amazing bedrooms and 2 bathrooms this home is the quintessential “Beach House”. Flowing internal rooms mean the living space is light/bright and cheery. The kitchen is at the rear of the home adjacent to the dining area and rear deck. Front and rear decks, good sized rear yard with a powered shed onsite, a garden shed compliments the back yard for all storage needs. Parking for a boat/trailer or an RV too.

View Saturday 29th June 2024 - 10.30-11.00 am Saturday 6th July 2024 - 11.15-11.45 am

Price $650,000

Web rh.com.au/hervey bay/L27041478

2 4

2/21 Cunningham Street, Torquay

Superb Finishes, 5 Minutes to the Beach

This new coastal-charm house, by Ron Brown Homes, offers 4 bedrooms, 2 bathrooms, and a 2 car garage, ideal for families. The thoughtfully designed interior blends modern architecture with the latest trends. The open floor plan seamlessly connects the kitchen, dining, and living areas, perfect for entertaining. The chef’s dream kitchen features high-end appliances and ample counter space. Generous bedrooms, including a master with ensuite, provide ample storage. Located beachside on Boat Harbour Drive, this property offers easy beach access and stunning coastal views.

View Saturday 29th June 2024 - 3.00-3.30 pm

Saturday 6th July 2024 - 1.30-2.00 pm

Price On Application Web rh.com.au/hervey bay/L23535111

Hervey Bay 4128 2188

357 Esplanade, Scarness rh.com.au/herveybay

141 Moorabinda Drive, Sunshine Acres

10 Acres with Surveyor Draft for Subdivision

Presenting an exceptional opportunity to own a charming 3 bedroom, 1 bathroom lowset brick home set on the front side of a sprawling 10-acre property. An enticing aspect of this property is the potential for future development and subdivision. With current surveyor’s plans in place to divide the property into two 5-acre blocks, there is the opportunity for dual occupancy or the option to create a separate dwelling on the subdivided portion.

View By Appointment

Price $1,222,000 Web rh.com.au/hervey bay/L23238949

90 Esplanade, Point Vernon

Nestled at the tip of Point Vernon, this exceptional home boasts breathtaking ocean views and refreshing sea breezes. Its spacious upstairs living area seamlessly connects to a versatile outdoor entertaining space, ideal for hosting gatherings or relaxing with family.

With a remarkable kitchen, expansive dining area, and three generously sized bedrooms, each with private ensuites and ocean vistas, this home offers unparalleled comfort and elegance, promising a lifestyle of luxury and tranquility by the sea.

View Saturday 6th July 2024 - 9.00-9.30 am

Price $1,990,000 Web rh.com.au/hervey bay/L22119412 3 2 3

74 Pacific Haven Cct, Pacific Haven

5/3 Shell Street – Fauna Lakes, Urangan Walk to Beach

Welcome to your own private oasis, tranquil, private and grand! This elevated architecturally designed Pavilion style home proudly sits on the waterfront of Cherwell River. This masterpiece truly offers a peaceful country lifestyle, positioned on an impressive 2.14 acres of beautiful tropical gardens and one of the best crab and fishing spots right at your front door. Situated only (approx) 35 minutes to beautiful Hervey Bay and a short drive to Howard town centre..

View By Appointment

Price Submit Offer Web rh.com.au/hervey bay/L20939533 3 2 3

This gated community offers lakeside living within walking distance to restaurants, cafes, the iconic Urangan Pier and the Esplanade. Relax on your cantilevered deck, overlooking picturesque Fauna Lakes. This complex comprises of 18 units, 8 of which are waterfront 3- bedroom units, each with a double lock-up garage. Thoughtfully designed interiors feature air conditioning, high ceilings and premium finishes. Enjoy modern comforts with solar panels, built-in robes and quality appliances. Plantation shu ers adorn bedroom windows, while the laundry boasts designer stone benchtops and appliances.

View Saturday 29th June 2024 - 2.15-2.45 pm Saturday 6th July 2024 - 9.45-10.15 am

Price On Application Web rh.com.au/hervey bay/L22630764

Hervey Bay 4128 2188

357 Esplanade, Scarness rh.com.au/herveybay

587-588 Esplanade, Urangan

Escape to the tranquil waters of Hervey Bay with this unique opportunity at 587588 Esplanade Urangan. Total block size is 1843sqm approx and the lots have been consolidated for rates purposes. This is the quieter section of the Esplanade, surrounded by tastefully renovated or newly built homes, a stone’s throw to the iconic Urangan Pier, the bi-weekly Pier Park Markets and a wide array of dining & shopping choices.

132 Moorabinda Drive, Sunshine Acres

View By Appointment

Price $2,600,000

Web rh.com.au/hervey bay/L28479717

14 Andersen Avenue, Urraween

Welcome to your charming 3-bedroom, 1-bathroom home nestled in the coveted suburb of Urraween. Outside, enjoy a lowmaintenance backyard, ideal for relaxation and entertaining under the east facing patio. Less than a 10-minute drive to the Hervey Bay hospital and the Bayside Christian college, this property provides convenience to amenities. This delightful residence offers a perfect blend of comfort and convenience, making it an ideal choice for both first-time homeowners and savvy investors alike.

View Saturday 29th June - 11.15-11.45 am Saturday 6th July - 2.15-2.45 pm

Price $538,000

Web rh.com.au/hervey bay/L27439332

10 Tooth Street, Pialba

This home exudes charm and character while in a fantastic location. Boasting three bedrooms, a single lock-up garage and situated on a spacious 768m2 block. Whether you’re seeking a family home with character, an investment opportunity with potential, or simply a place to call your own, this property offers a blend of comfort, convenience, and potential for the discerning buyer. Don’t miss out on the chance to make this charming residence your own, schedule a viewing today!

View By Appointment

Price Submit Offer

Web rh.com.au/hervey bay/L27761776

12 Mueller Close, Urraween

We present to you a 5 acre allotment that provides a great balance of space and convenience! Surrounded by the beauty of nature, it’s hard not to embrace the tranquility and privacy of your very own tropical oasis featuring 2 dams. Located in Sunshine Acres, you’ll find yourself approximately 10-15 minutes from town which provides the best of both worlds between enjoying the peacefulness of a rural se ing and having easy access to great shopping centres, medical and all that Hervey Bay has to offer.

View By Appointment

Price $550,000

Web rh.com.au/hervey bay/L23984557

221

Condor Drive, Sunshine Acres

Here is an amazing opportunity if you are looking for some local land to be creative or a place for the whole family to grow. Nestled in the sought after location of Sunshine Acres, this parcel of land is 4.24Ha or just over 10 acres and needs some a ention. There is a home on the property that needs to be rescued/ renovated. 2 dams are on the property and those who can do a li le work will see the value in a property like this.

View Saturday 6th July 2024 - 12.45-1.15 pm

Price $798,000 Web rh.com.au/hervey bay/L27596346 1 2 3

4 Coventry Court, Urraween

2 2 4

On entering the thoughtfully composed layout provides an inviting yet laid-back atmosphere, immediately drawing a ention to the expansive entertaining area, outdoor gazebo and sparkling inground pool. The large wellappointed chef’s kitchen sits at the heart of the house centrally located in a spacious open plan dining and informal lounge area. The generous main bedroom suite has private access to the pool and entertaining area. Bedrooms two, three and four all have built ins while the fifth bedroom or study is conveniently located at the front of the house.

View Saturday 29th June - 10.30-11.00 am Saturday 6th July - 1.30-2.00 pm

Price $868,000

Web rh.com.au/hervey bay/L27034306

368 Pacific Haven Cct, Pacific Haven

1 3 3

Are you looking for an investment or owner occupy? This is a 4 bed 2 bath home that’s close to schools, shops, hospitals. It is positioned at the end of a cul-de-sac so there is no passing traffic and the kids feel safe playing and bike riding. Great neighbours, good area, you will not be disappointed with this property. Book an inspection as quick as you can because this property will be heavily inspected.

View By Appointment

Price $640,000

Web rh.com.au/hervey bay/L26522720 2 2 4

This low-maintenance steel frame home features three bedrooms, one bathroom, inviting front and rear verandas, allowing for year-round outdoor living. The residence is equipped with solar hot water and solar power, ensuring cost-effective and sustainable living. Complimenting the home is a spacious three-bay shed, ideal for storing vehicles and recreational equipment, accompanied by a second storage shed for added convenience. With its abundant resources, this property is an ideal haven for those considering a hobby farm.

View By Appointment

Price $650,000

Web rh.com.au/hervey bay/L26283436

Auction Thursday 27/6

Auction Thursday 27/6

Hervey Bay 4128 2188 357 Esplanade, Scarness rh.com.au/herveybay

1/200 John Street, Maryborough

1 2

For those seeking a unique project or a chance to preserve a piece of Maryborough’s history, this home presents an exciting opportunity. Boasting ample space, the property offers two bedrooms plus a large sleepout, an openplan layout with distinct lounge and dining areas. The separate kitchen features plenty of cupboard space, while the bathroom includes a shower over bath, with a separate toilet and laundry located underneath the house. Outside, a concrete driveway leads to a single carport at the rear.

View Saturday 6th July 2024 - 9.00-9.30 am

Price Submit Offer Web rh.com.au/hervey bay/L27089348

4 Myrtle Close, Kawungan

This conveniently located brick home features three bedrooms, all with built-in cupboards, and a master bedroom with an ensuite, the home ensures comfort and convenience. An inviting open-plan living area, complete with functional kitchen and plenty of cupboard space could be left as is or renovated into a modern treat. Enjoy the air conditioned living area, ceiling fans and security screens throughout. The private, covered outdoor entertainment area is ideal for relaxing or entertaining.

View Saturday 29th June 2024 - 12.45-1.15 pm Saturday 6th July 2024 - 3.00-3.30 pm

Auction 27th June 2024 at 7.00 pm - In Rooms Web rh.com.au/hervey bay/L28179219

34 South Street, Urangan

Auction Thursday 27/6

32-34 Annie Street, Howard

This property is a stunning 4 bedroom, 2 bathroom house with a spacious double garage. Situated on a generous 2039 sqm block of land, this property offers plenty of space for outdoor activities or future projects. The interior of the home boasts a comfortable living area, a timeless kitchen with copious storage, and a master bedroom with an ensuite bathroom. The remaining three bedrooms are perfect for a growing family or guests.

View Saturday 29th June – 9.00-9.30am

Saturday 6th July – 10.30-11.00 am

Auction 27th June 2024 at 7.00 pm - In Rooms Web rh.com.au/hervey bay/L28177346 2 2 4

4/4 Frank Street, Scarness

Discover your perfect beachside retreat at Unit 4, 4 Frank Street, Scarness. This unit features a modern kitchen, dining and lounge areas, and a downstairs laundry with a toilet. Upstairs, find two spacious bedrooms with ample storage, a large main bathroom, and a private veranda off the main bedroom. Enjoy uninterrupted beach views and a prime location. Don’t miss the chance to inspect this stunning property!

View Saturday 29th June - 11.15-11.45 am & 3.00-3.30 pm

Saturday 6th July - 11.15-11.45 am & 2.15-2.45 pm

Auction 27th June 2024 at 7.00 pm - In Rooms Web rh.com.au/hervey bay/L28386491

3 Protector Way, Eli Waters

The old saying is “Location Location Location”, being just a short stroll to arguably Hervey Bay’s best beach, 34 South Street certainly hits the mark. With a neat and tidy three bedroom brick and tile home, a great undercover outdoor entertaining space, the scene is set to not only live the fabulous beach lifestyle Hervey Bay has to offer but to also reap the rewards in the years to come.

View Saturday 6th July 2024 - 9.00-9.30 am

Auction 27th June 2024 at 7.00 pm - In Rooms Web rh.com.au/hervey bay/L1074644 1 1 3

19 Ian Avenue, Kawungan

2 3 3

Discover this charming 3-bedroom, 2-bathroom home in Kawungan, Hervey Bay. Set on a 946 sqm plot, it offers comfort and convenience. Centrally located near Main Street, enjoy easy access to beaches, shops, schools and hospitals. Ideal for investors or firs ime buyers, featuring a master ensuite, internal garage access and a 6x6m shed. Experience coastal living with cooling breezes and nearby amenities.

View Saturday 29th June 2024 - 1.30-2.00 pm Saturday 6th July 2024 - 2.15-2.45 pm

Auction 27th June 2024 at 7.00 pm - In Rooms Web rh.com.au/hervey bay/L1072673

Thursday 27/6

4-bedroom 2-bathroom currently tenanted home situated on approx 660m2 block. This property presents an opportunity for either investor or owner occupy. Positioned in the Eli Waters area of Hervey Bay close to schools, shops and parks, properties in this area don’t come available too often and seldom make it to market. This property has a generous rear yard, covered entertainment area and walk through kitchen. The owner is commi ed to moving this property, contact us today to arrange an inspection.

View Saturday 29th June - 9.45-10.15 am Saturday 6th July - 12.45-1.15 pm

Auction 27th June 2024 at 7.00 pm - In Rooms Web rh.com.au/hervey bay/L27955807

8-12 Burrum Street, Urangan

Welcome to a prime development opportunity located in Urangan. This expansive 1942m² block is perfect for developers, investors or those looking to build their dream property. This property offers ample space for a variety of development projects (subject to council approvals) including subdivision potential, multi-unit development, or a luxurious single-family home. Currently, the property hosts a home featuring three large bedrooms. This structure could be renovated, expanded, or utilized as a temporary residence during development. A standout feature of this property is the massive garage with internal access.

View Saturday 29th June 2024 - 12.45-1.15 pm

Auction 27th June 2024 at 7.00 pm - In Rooms Web rh.com.au/hervey bay/L27882061 1 2 3

Auction Thursday 27/6
Auction Thursday 27/6
Auction Thursday 27/6
Auction

Hervey Bay 4128 2188

357 Esplanade, Scarness rh.com.au/herveybay

Commercial Division

Raine Horne Hervey Bay

T: 07 4128 2188

E: sales.admin@ herveybay.rh.com.au

17 Honeyeater Drive, Walligan

2ha For Sale

This expansive lifestyle garden centre boasts a diverse range of products, from imported pots and statues to plants, fruit trees, and landscaping supplies. Spanning 2 hectares with prominent road frontage, it offers ample retail parking for 16 cars, bulk storage area for container unloads, and purpose-built display areas. The property includes a three-bedroom brick veneer home with an office and its own separate entrance, owner parking including a double garage, with additional space for trucks and staff

View By Appointment

Price Contact Office

Web rh.com.au/hervey bay/L1272958

86 Elizabeth Street, Urangan

360m2 For Sale

Commercial premises for sale, features include:

• 1191m2 land size

• 2 tenants in place

• Shop 1 – retail floor area 110m2

• Shop 2 – retail floor area 250m2

• High profile location

Contact the office for further information

View By Appointment

Price Contact Office Web rh.com.au/hervey bay/L24568278

297 Kent Street, Maryborough

588m2 For Sale

Situated on a generous land area of 1016 sqm, this property boasts a spacious building area of 588 sqm, providing ample space for your professional needs. This two story property features an upper level residence with spacious living area, 3 bedrooms, high ceilings, kitchen, bathroom, stunning architecture, with an arch design that adds a touch of elegance and uniqueness. The lower level comprises approximately 17 consulting rooms plus front reception area and waiting room with fenced rear car park.

View By Appointment

Price Contact Office Web rh.com.au/hervey bay/L26379215

1/383 Esplanade, Torquay

300m2 For Sale

Imagine the possibilities of owning an elegant wine bar in such a desirable location. With the business and freehold premises on offer, this property ticks all the boxes. The Esplanade in Torquay is known for its vibrant atmosphere, a racting locals and tourists alike. With its proximity to the beach, shops, and other amenities, this property ensures a steady flow of traffic. Don’t miss out on this incredible opportunity to own your dream lifestyle in the bustling area of Torquay Hervey Bay.

View By Appointment

Price Contact Office

Web rh.com.au/hervey bay/L12986683

200 Walker Street, Maryborough

126m2 For Sale

This unique property offers a rare opportunity for buyers looking for a versatile space in a convenient location looking to establish a medical centre or allied health consulting practice. Situated on a spacious 1002 sqm lot with its own on-site parking, generous reception area/waiting room and multiple treatment rooms. This property is perfectly located across the road from Maryborough hospital, and is close to schools, shops, and public transportation, making it a convenient and sought after location to set up or expand your business.

View By Appointment

Price Contact Office Web rh.com.au/hervey bay/L27560318

2/402 Esplanade, Torquay

228m2 For Lease

Prime retail site on the Esplanade at Torquay on a busy corner location surrounded holiday apartments, shops and across from the beach. 228m2 of space including a fully equipped commercial kitchen with good street appeal and accessible car parking. Ideal location for a restaurant or take away business. Contact us now for further information or to arrange an inspection.

View By Appointment

Price Contact Office Web rh.com.au/hervey bay/L19344791

1/36 Torquay Road, Pialba

Shop 1/36 Torquay Road presents an enticing opportunity for investors with a long-standing tenant of over 37 years. Situated in Pialba’s heart, it benefits from substantial foot and car traffic, opposite Bay Plaza Shopping Centre housing Woolworths and other renowned stores. Property highlights include locked side gate access, full air conditioning, unisex accessible amenities, a kitchene e, storage room, front and rear parking, and security cameras covering all aspects of the premises. This 132m2 space offers stability with its established tenant.

View By Appointment

Price Contact Office

Web rh.com.au/hervey bay/L26177741 132m2 For Sale

LOCATION, VIEWS, LIFESTYLE

Situated in the heart of Hervey Bay in the St Tropez apartments, Unit 7, 367 Esplanade, Scarness is relaxed coastal living at its best. Located in a prime position within easy walking distance to popular beaches, restaurants and cafes, it is perfect for Esplanade living or as a holiday rental.

Stylish and spacious, this apartment consists of three large bedrooms, two with study nooks, and a walk-in robe to main, plus great kitchen and open plan living looking across to the

ocean views. With undercover alfresco areas at both the front – overlooking the beach, and the rear of the unit – overlooking the sparkling shared swimming pool, there is plenty of room to enjoy. The unit has a single lock up car space, which has its own fantastic workshop space, providing extra room that apartment style living does not always provide. If you are looking for prestige lifestyle living in the centre of Hervey Bay – don’t wait any longer! Call Ash Heckels to arrange an inspection.

• Three bedrooms with fans and built-in wardrobes

• Ensuite and walk-in robe to main

• Built in study nook in bedrooms

• Fantastic private balcony overlooking the Esplanade capturing ocean breezes

• Rear balcony overlooking shared pool

• Open plan living with air-conditioning to main living area

• Single lock up car space, with additional workshop / storage area

• Fantastic central location in the heart of Hervey Bay

Inspect By Appointment

BEAUTIFUL WATER VIEWS + DIRECT BEACH ACCESS

Welcome home to

of

Extensive renovations have

Toogoom.

areas, a great sized kitchen with large walk in-pantry as well as beautiful outdoor

with additional large living room attached as well as rumpus room at the front of the property. Secure and private, there are automatic gates on the

3 MACKAY DRIVE, KAWUNGAN

KAWUNGAN LIVING AT ITS BEST

Situated in a quiet pocket of Kawungan, 3 Mackay Drive is sure to impress. With three bedrooms, three great living spaces, beautiful landscaped gardens, shed AND place for the caravan or boat…everything is all here ready for you!

The great layout of this property allows for plenty of space to enjoy both inside and outside the home, utilising the fantastic patio area bringing the outside in. All bedrooms are complete with built in robes and fans, plus ensuite and walk in robe to the main bedroom. You will also find well-positioned kitchen in the heart of the home, with plenty of storage and space. With new flooring throughout, recently painted and a fantastic feel, there is nothing left to do but move in.

• Three bedrooms with built ins and fans

• Ensuite and walk in robe to main

• Three great living areas

• Large undercover patio area looking out to beautiful gardens

• Air conditioning and fans throughout

Outside in the established gardens you will enjoy this peaceful setting from under the great sized patio – taking in the beautiful gardens and quiet surrounds. With the shed already in place, plus fantastic side access you have plenty of room for all the toys. 3 2 2

Inspect By Appointment

• Solar panels

• DLUG plus side access and shed

• New fooring and recently painted

• Immaculately presented both inside and out

• Fantastic central location

Land size: 800m2 OFFERS OVER $699,000 CONSIDERED

FANTASTIC PRICE POINT

Immaculate condition and on a low maintenance block, this brilliant property is situated only minutes from schools, hospitals, CBD and only 5 minutes drive to the beautiful Esplanade. Along with its convenient location, this well presented home offers a functional floor plan which is sure to impress. If you're looking for the perfect investment property, lock up and leave, or your first or last home, look no further this property presents fantastic value. The family-friendly floor plan features an air-conditioned master bedroom with an ensuite, air-conditioned open-plan living/ dining area, three additional bedrooms, a family bathroom, and a spacious covered outdoor area. The low-maintenance block includes side access for boats or trailers, with a concrete pad and 15 amp power and space for a pool if desired. Additional benefits such as solar panels, plantation shutters, security screens, and air- conditioning make this property an ideal "set and forget" investment or a move-in ready home for your family.

• Master bedroom with air-con, built in robes, ensuite

• Additional three bedrooms all with fans, built in robes (one with air-con)

• Open plan tiled living/dining area with air-con

• Functional kitchen with dishwasher, corner pantry and ample storage

• Main bathroom with bath, shower, vanity, separate toilet

• Covered, outdoor entertaining area

• Double garage with internal access

• Side access with concrete pad for boat/trailer and 15 Amp power point

• 6KW Solar panels

• Fully fenced, low maintenance 672m2 block

• Close proximity to Urangan High School, Sandy Straits Primary, convenience shops

• Only 5-minute drive to the Esplanade

COMPLETE PACKAGE AT A GREAT PRICE

Discover your perfect home in a highly sought-after neighborhood offering unbeatable features and location at an unbelievable price.

This property features three bedrooms, one bathroom, two living areas, and a beautifully renovated kitchen with an integrated fridge, pyrolytic oven and soft close drawers. Storage will never be an issue, thanks to the high-clearance double carport and a double Colourbond shed, perfect for car enthusiasts, a caravan, boat, or hobby space. Additionally, there is a double garage attached to the property, complete with a toilet and shower. This space could easily be transformed into a grand master suite or additional living area, offering endless possibilities. The 800m2 fully fenced, low-maintenance block also features an above-ground pool. Imagine enjoying a family BBQ in the outdoor area while watching the kids play—it's the perfect place to sit back and relax.

6 Virginia Court in Scarness comes packed with extras, including solar panels, air conditioning, and security screens, and meets everyone's wish list: a fantastic kitchen for Mum, sheds for Dad, and a pool for the kids.

• Stunning renovated kitchen with dishwasher, integrated fridge, induction cook-top, pyrolytic oven, soft close drawers, timber look benchtops.

• Carpeted living room with air conditioning and separate dining area

• Family room with sliding door access to outdoor entertainment area

• Three bedrooms all with air-con, fans (2 with built-in robes)

• Covered outdoor entertainment area

Inspect By Appointment Inspect By Appointment

VIRGINIA COURT, SCARNESS Land size: 800m2 OFFERS OVER $695,000 CONSIDERED

• Above ground pool

• Double garage attached to home with shower, toilet and epoxy foor

• High clearance double carport - 3.1m high clearance with drive through access to a 9x6m Colourbond shed with power.

• Solar panels

• Low maintenance fully fenced 800m2 block

PYNE 0438 694 307 stacey.pyne@primeagents.com.au

9 KAMALA COURT, URRAWEEN

LAKESIDE LIVING - LOW MAINTENANCE - TIGHTLY HELD STREET

Positioned in arguably one of Hervey Bays most desirable and tightly held streets, 'Kamala Court'- number 9 offers the perfect lock up and leave or downsizer without compromise for those who appreciate quality and in the utmost desirable location.

Waking up in the morning to the sun dancing on the water is no longer a dream… what a treat to make your morning cuppa looking over the water or having a glass or two in the afternoon on the rear deck capturing the cool summer breezes of the lake and watching the local wildlife. This home boasts three bedrooms and two bathrooms, with the master bedroom featuring an ensuite, a walk-in robe and stunning lake views. The open-plan living area includes large sliding doors that lead to the outdoor entertaining areas, offering a seamless indoor-outdoor living experience with picturesque lake vistas. The modern, well-equipped kitchen provides ample storage, soft-close drawers, a dishwasher, and a large servery window opening to an alfresco area, ideal for entertaining. Additional highlights of this gem include beautiful high ceilings, timber paneling feature wall and security screens.

• Open plan air-conditioned living/dining with large sliding doors onto back deck, high ceilings, fans

• Modern kitchen with stone benchtops, dishwasher, soft close drawers and servery window

• Spacious air-conditioned master bedroom with lake views, ensuite, fan and walk in robe

• Additional bedrooms both with built in robes, fans

Inspect By Appointment

• Spacious main bathroom with bath, shower and separate powder room

• Two outdoor entertaining areas including a rear deck with free standing gazebo plus adjoining to the kitchen an intimate alfresco area with timber panel ceiling.

• Double garage with internal access

• Walking distance to shops, medical centre, Schools

• Short drive to Hospitals, CBD, golf club

PYNE 0438 694 307

QUIET LAKEFRONT HOME

Positioned in a quiet street and backing onto the lake, this lovely home offers a spacious open-plan kitchen, dining, and living area, along with an air-conditioned family room. The four bedrooms are of good size, with the main bedroom featuring a renovated ensuite and large walk-in robe and all of the other bedrooms have built in wardrobes plus fans.

A covered very private outdoor entertainment area overlooks a magnesium concrete inground pool with views over Lake Anembo, providing a serene setting for relaxation every day.

The property includes a double lock-up garage and sits on a 600m2 lot with side parking for a boat or caravan and has an enclosed carport and workshop.

Conveniently located within walking distance to the beach, restaurants, and cafes, and close to Urangan Bowls Club, Pier, and Marina, this home boasts additional features such as 10kW solar panels, air conditioning, accommodation for three cars, and is a very low-maintenance property.

• Lakefront home in quiet position

• Four bedrooms with built-in robes and fans

• Master bedroom with walk-in robe and renovated ensuite

• Large open plan kitchen, dining and lounge area

• Inground concrete magnesium pool

4 2 4 17 ANEMBO DRIVE, TORQUAY

• Large, private entertainment area overlooking Lake Anembo

• Double lockup garage

• Large, fully approved enclosed carport and workshop

• Solar Panels - 10kw

• Close to Esplanade, shops and bowls club

Land size: 600m2 OFFERS OVER $1,065,000 Inspect By Appointment

BEST VIEWS IN HERVEY BAY

This spectacular design offers breathtaking views unlike anything we have ever seen before. This beautiful property features four spacious bedrooms, including a master with ensuite and walk-in robe, while the other three bedrooms have built-in robes.

The kitchen is a culinary enthusiast's dream, offering an abundance of cupboard space, including an appliance cupboard with an electrical outlet and walk-in pantry with an appliance bench. The property boasts two living areas—one upstairs and one downstairs—providing ample space for relaxation and entertainment. The upstairs deck offers spectacular views of K'gari Island and the Sandy Straits, while the downstairs patio is perfect for outdoor gatherings.

The double garage provides two-door access to the house and downstairs patio while a three-bay Colourbond shed provides additional storage and workspace. The fully fenced 938m2 has side access suitable for boat storage.

• Four bedrooms with built-in robes and ceiling fans

• Master bedroom with ensuite and walk-in robe

• Study nook with rural views

• Deck overlooking K’gari and Sandy Straits

• Kitchen with standalone cooktop/oven, walk-in pantry

• Large open plain living/dining room

• Second living area downstairs

Inspect By Appointment

• Undercover patio

• Double garage with internal access

• 6x9m Colourbond shed with power

• Fully fenced with side access for boat/caravan

• Elevated block providing breezes and beautiful views

PARADISE IN POINT VERNON

Built by PJ Burns, this home prioritizes comfort and functionality. It features two spacious living areas with modern air-conditioning for stylish relaxation. The chef's kitchen is equipped with a gas cooktop, dishwasher, and ample storage for your convenience.

The property includes four bedrooms, with the master suite offering a private bathroom, blending practicality with elegance. Outside, enjoy a tropical backyard perfect for unwinding, complete with a Bali hut ideal for barbecues and appreciating your beautiful surroundings.

More than just a house, this property offers a convenient lifestyle. A double garage and side access on a 700m2 plot ensure easy living. Well-established tropical gardens, tinted windows, and airconditioning throughout add a touch of luxury.

The warm glow of venetians and a spacious alfresco dining area make entertaining guests a pleasure. The master bedroom opens to lush tropical surroundings, seamlessly connecting indoor and outdoor spaces.

Located in the peaceful Point Vernon area, it's only a short walk to the beach, shops, and just minutes from the heart of Hervey Bay.

• Two spacious living areas, both with air-conditioning

• Chef's kitchen with gas cooktop, dishwasher, & ample storage

• Lounge room with built-in surround system

• Four large bedrooms with built-ins and ceiling fans

• Master with ensuite & sliding door to the entertainment area

• Alfresco dining area overlooking the stunning manicured gardens

• Great Bali hut for barbecues and enjoying your private yard

• Plantation shutters in the living area and security screens throughout

• Excellent side access to the fully fenced backyard

• Garden is fully reticulated with timers installed

• Quality-built home in a very quiet sought-after area

PEARL

UPSTAIRS

• Wrap around deck with ocean views

• Spacious open plan living area

• New kitchen with stone benchtops, induction cooktop, pyrolytic oven and dishwasher

• Four bedrooms, master with air-conditioning, walk-in robe and ensuite

• Renovated main bathroom with double basins and free-standing bath

DOWNSTAIRS

• Potential ffth bedroom or study

• Double garage, large workshop underneath house BONUS EXTRAS

• 6.6kw Solar Panels

• Private, fully fenced 2018m2 block

1 ACRE IN THE HEART OF TOWN

Welcome to 111 Garden Drive, a beautiful property that seamlessly blends the traquility of country living with the convenience of urban life. Spread across an expansive 1-acre block, this gem offers a rare opportunity to experience the best of both worlds.

The inviting allure of a recently renovated modern kitchen, overlooks the promise of adventure as the spacious entertainment area beckons you to unwind

Inside, four bedrooms and two bathrooms provide ample space for the family and guests, each room adorned with ceiling fans for

conditioning, a sanctuary for rest and relaxation.

Security is paramount here with installed cameras ensuring peace of mind, while a 5kW Solar system stands as a testament to sustainability. The two-bay shed is ready to accommodate vehicles or hobbies with the convenience of electric roller doors ensuring the security of all enclosed. There is a

providing flexible living options to suit your lifestyle needs.

• Expansive 1-acre land parcel

• Enhanced security with installed cameras

• 5 kW solar system comprising 20 panels

• Four bedrooms and two bathrooms

• Ceiling fans in every room for added comfort

• Air-conditioning in the main bedroom

Inspect By Appointment

• Electric roller doors adorn the garage of the main house

• Inviting 10x3 saltwater swimming pool

• Recently renovated modern kitchen

• Additional separate studio for versatile living arrangements

• Two-bay shed to accommodate vehicles or hobbies

• Ample space for RV parking, offering endless possibilities for outdoor enthusiasts.

Perfectly Located Land Now Selling!

Positoned adjacent to Hervey Bay Golf Club, a short walk to the beach, and fve minutes drive to major retailers. This is the opportunity to embrace a brand-new home in an established community. All blocks are fully serviced with water, power and NBN ready.

Experience your own slice of paradise at Pialba today!

UNDER CONTRACT UNDER CONTRACT UNDER OFFER UNDER OFFER

Do you know how high you can bid?

Property is likely one of the most expensive purchases you will make. It is important to make informed decisions when making an offer - you can look into similar sales in the area, understand the background of the property and neighbourhood and get to know any risks or potential near-future costs. But when you’re deciding how much to offer, it is a good idea to understand how much lenders may be willing to lend you.

To help you on your journey I:

4 Can calculate your borrowing capacity across over 60 lenders.

4 Will be your personal negotiator to find the right loan for you.

4 Can arrange pre-approval to help you bid with confidence.

Not all lenders are the same. They vary in lending criteria, which can impact who will lend to you and the amount they may be willing to lend. For example:

This scenario shows how different lenders might assess the maximum borrowing capacity of a couple with one child, household income of $130,000p.a. – the client’s ability to buy will be influenced by which lender they choose. These figures are an example only, and will change based on the different lenders considered, and the borrower’s personal circumstances.

We always recommend seeking out professional and qualified expertise to assist with individual scenarios. In order to make a recommendation a full assessment would be required. Terms, conditions, fees and charges may apply. Normal lending criteria apply.

Modern & Contemporary Living Near the Beach

Offers over $1,299,000 considered

Great street appeal is just the beginning.

This family home offers comfort seamlessly blended with a calming modern elegance and a versatile floor plan. With three living areas, four bedrooms, two luxe bathrooms, a study and a potential-filled fully-fenced yard.

The beating heart of the home lies in the open plan living, complemented by soaring high ceilings and large windows offering an abundance of natural lighting and a statement kitchen. Host guests in style with a fully-equipped, modern kitchen boasting a sleek colour palette and ample storage space and includes a well-designed walk-in pantry. Appreciate the spaciousness of the open plan dining and lounge space, as well as the additional media room and rumpus/TV room.

The master suite is accompanied by a walk-in wardrobe and a contemporary ensuite bathroom. The additional three bedrooms also offer comfort for the remainder of the family or guests, with ducted air-conditioning and built-in wardrobes.

Everyone will enjoy time spent outdoors with the generously sized alfresco complete with an outdoor kitchen and pull-down blind making it perfect for all-year entertaining. The sparkling in-ground swimming pool is located just away from the entertaining area and includes a large sun umbrella making it perfect for a swim or just to sit back and relax.

With a full concreted driveway leading to the large rear shed measuring 15m x 10m with power connected - it’s perfect for the boat and van. The large fully fenced yard is ideal for families with children or pets to play freely in the privacy of your own space and there’s plenty of space to add a few garden beds and enjoy your own freshly picked fruit and vegetables. With so much on offer, there has been no expense spared in this generous sized residence. Put this one on your must see list - An inspection is a must!

4128 6600

2 Ansons Road, Dundowran Beach www.rayedward.com.au

5A Jimilee Street, DUNDOWRAN BEACH

Your Gateway to Coastal Living – Hervey Bay Real Estate Experts

Esplanade Ofce Coming Soon!!

Faunt Property Group is Fraser Coast’s freshest Real Estate Agency.

Established in 2023, our brand may be new, but our founder, Trent Faunt, has a wealth of real estate experience. With his successful track record of operating multiple ofces, Faunt Property Group is a testament that you’re in great hands. Trust us with your most important asset!

As owners of Faunt Property Group, we believe that trust is at the core of our brand. Our clients can confdently rely on us with their most valuable asset.

Trent and Karlie Faunt - Principal and Co-Owner

Slade & Aletha Walters

HOUSE AND LAND PACKAGES

Spacious 4 bedroom home

Register your interest now for this spectacular 4 bedroom home to be built in the near sold-out community of Azure in Eli Waters. O fering a large open plan living area plus a separate media room and under roof alfresco there’s plenty of space to relax and entertain. The spacious kitchen includes an island bench and walk in pantry. The main bedroom comes complete with walk in robe and ensuite while the 3 other bedrooms all have built in robes. Due to commence construction end of June, and complete December 2024/ early 2025, don’t let this chance go to secure your very own brand-new home.

Price Contact Agent

LISTINGS WANTED

Easy living 3 bedroom home

Don’t miss your opportunity to secure your brand new home in Eli Waters. This low maintenance 3 bedroom home is ideally located close to shops, schools, childcare and future shopping centre and tavern. Make the most of your leisure time with this low maintenance 3 bedroom home. O fering an open plan living area with separate media room and under roof alfresco you’ll have plenty of space to unwind. Due to commence construction end of June, and complete December 2024/early 2025, this is your chance to buy a new home in a sought-after and convenient location.

Price Contact Agent

We have strong demand for new and established homes from $500,000 to $1m plus. If you’ve been thinking about selling to upsize, downsize, realise a profit or relocate, contact Rod at Marks & Partners Property for an obligation-free market appraisal of your property. With over 23 years’ experience in residential property sales and marketing we can help you maximise the sale price of your property with friendly, professional service and attention to detail.

Scan

Lot 164 Cherry Venture Drive, Eli Waters
Lot 143 Lady Elliot Crescent, Eli Waters

Located on 45 hectares of gently undulating land complete with sweeping vistas of the Great Sandy Strait and Fraser Island, Fraser Vista is arguably the best new water and island view address on the Fraser Coast..

Situated within close proximity to village shops, local schools and Hervey Bay town centre, this is the perfect time to embrace a sea change or start your retirement dream on the Fraser Coast. •Blocks from 2,000m2 to 2,920m2

View the site at 62 Mahalo Road Booral (eastern end of Mahalo Road)

For more details or to arrange an inspection contact Rod Marks rod@markspartners.com.au 0408 619 491

Turn static files into dynamic content formats.

Create a flipbook
Issuu converts static files into: digital portfolios, online yearbooks, online catalogs, digital photo albums and more. Sign up and create your flipbook.