Hervey Bay Advertiser and Hervey Bay Property Guide

Page 1


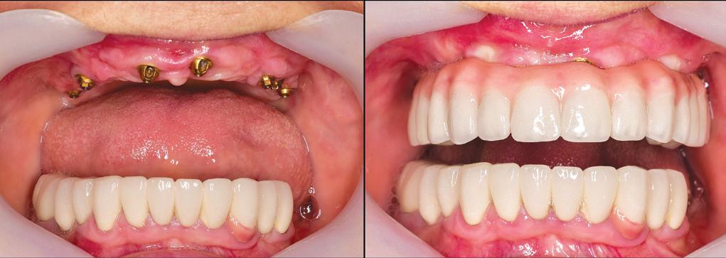
3D imaging your gums for the perfect

If you’re happy with your current FULL dentures, we can copy them for youno impressions required.

Precise CAD designed & manufactured Durable Milled from high impact premanufactured discs

Consistency Same set of dentures can be reproduced many times

Digital backup Can be remade at any point

Customisable Many shades and teeth shapes available

Convenient Faster to make, less appointments CAD DESIGNED DIGITAL DENTURES AVAILABLE NOW IN HERVEY BAY

The Hervey Bay Carols by Candlelight was a resounding success this year, and it’s all thanks to the incredible effort and quick thinking of the organisers.

When ominous weather threatened to dampen the Christmas spirit, the bold decision to relocate the event indoors to the Hervey Bay Baptist Church proved to be a stroke of brilliance.

What could have been a soggy evening on Seafront Oval turned into a heartwarming, festive celebration of community and

IN 2025, Hervey Bay is buzzing with growth and opportunity.

National businesses continue to set up shop, offering new choices and creating employment—a welcome boost for our region.

However, while these larger entities provide variety, their profits often flow back to head offices far removed from our community.

In contrast, locally owned businesses invest directly in the heart and soul of Hervey Bay.

When you shop local, you’re supporting more than just a business; you’re helping build the foundations of our community.

Local businesses are the ones sponsoring junior sports teams, donating to school fundraisers, and stepping up for grassroots projects.

Their profits are reinvested here, driving a cycle of mutual support that benefits everyone.

From the butcher who buys fresh produce from a local farmer to the café that sources its coffee beans from a Queensland roaster, homegrown businesses create a vibrant and interconnected economy.

As the options in Hervey Bay expand, it’s more important than ever to pause and consider what local businesses can offer.

Whether it’s a unique product, exceptional service, or a personal touch that can’t be replicated, our local operators bring passion and expertise to their work.

By choosing them first, we ensure their longevity and encourage innovation within our

community.

Local businesses are also the backbone of support for grassroots initiatives, often filling the gaps where larger corporations may not tread.

These contributions nurture a strong sense of belonging, making Hervey Bay more than just a destination—it’s a thriving community.

In this era of increased choice, let’s remember the power of our wallets.

Each dollar spent locally has a ripple effect, strengthening the very fabric of our city.

So, before heading to a national chain, why not see what a local business can do?

Together, we can continue to build a prosperous, connected, and resilient Hervey Bay.

Christmas.

The change of venue did nothing to dull the magic.

Families and friends gathered in their hundreds, voices blending beautifully as carols echoed through the church. The atmosphere was alive with joy, laughter, and the unmistakable spirit of the season.

A special mention must go to the volunteers, whose tireless dedication ensured everything ran seamlessly. From setting up the church to welcoming guests with smiles, they embodied the true meaning of Christmas – selflessness and goodwill.

The organisers deserve

our heartfelt thanks for their courage in adapting plans at the eleventh hour. The result was a perfect Christmas celebration, made all the more memorable by their efforts.

We had a wonderful festive season filled with love, community, and resilience –just like Carols by Candlelight demonstrated so beautifully this year.

No wonder many are coming here to live, to escape their high-rise concrete jungles that draw 85% of heat and radiate it back.

The editor is right: a vibrant, dynamic, exciting place without parking meters.

As a volunteer, 71 years old after strokes and a cardiac arrest, its good therapy helping others.

In Hervey Bay, you meet a new friend every day—some real, diverse characters.

Hopefully, our council will extend considerably as required under the Local Government Act.

Full transparency and full public participation in all decision-making are essential. A marginal majority on election day should not inflate egos with title and position, which has a use-by date.

The ability of our residents to express diverse, robust opinion should be encouraged, not silenced.

Thanks, Hervey Bay community! And Happy New Year!

The pool is now closed on Mondays and at 2pm on Saturday and Sunday.

The toddler’s pool is closed and fenced off.

Looks in a state of disrepair. It makes it difficult for young families.

Apparently, the Council can’t staff the facility.

I agree with the Publishers Point prior to Christmas.

As a proud local business owner, I’ve always valued community connections and the shared support that makes Hervey Bay special. However, the tone of the Hervey Bay Community

Ultra Tune Hervey Bay

Introducing 2 Hour Express Car Service

• There are 3 express vehicle services per day across three convenient times:

8am -10am / 10am - 12pm / 12.30pm to 2.30pm

• That’s any log book* or maintenance car service in under 2 hours

• Includes free 12 months roadside assistance* with any car service

Open: Mon-Fri 8am-5pm

Hervey Bay now does not have a swimming pool up to standard at a time of the year when most needed.

Noticeboard has taken a distressing turn.

What was once a platform for sharing events, good news, and helpful tips has become a breeding ground for negativity, particularly aimed at small businesses.

Recently, I was unfairly targeted on the page with harsh and unfounded criticism.

The complaint stemmed from a situation handled fairly and professionally, though it seems the individual wasn’t satisfied with the outcome.

While every business welcomes constructive

feedback, what transpired on the Noticeboard felt more like an attack than an opportunity for improvement.

Why do the administrators allow this to continue?

The unchecked negativity damages reputations, often based on one-sided stories or personal grievances.

For small businesses, these unwarranted critiques can have real-world consequences, impacting trust and livelihoods.

It’s troubling to consider how long it will be before a business is defamed to the point of legal action.

Australian, Pitt provided further insights into his departure, highlighting differences with Nationals leader David Littleproud.

Nationals MP Keith Pitt, the Member for Hinkler, has announced his decision to quit politics, expressing dissatisfaction with his party’s direction and criticizing the Coalition’s commitment to net zero emissions.

The Member for Hinkler confirmed in a statement that he will not contest the 2025 election.

Reflecting on his time in office, Pitt described it as “an incredible privilege … some extraordinary successes, many highs and some unfortunate lows.” In an interview with The

“We have very different views on what’s the priority and direction for the Nationals,” Pitt said.

“In my view, political parties without purpose soon disappear … I just think there’s been a shift in terms of policy positions that is sold as discipline but it’s more about obedience.”

Pitt also criticized Littleproud’s backing of the Coalition’s net zero emissions target, stating: “Green policies … have to be paid for,” adding that they result in “literally zero impact on the temperature of the planet” while

Administrators have a responsibility to foster a constructive environment.

Allowing baseless complaints and personal vendettas to dominate the conversation only undermines the community spirit the page was meant to promote.

Let’s remember: local businesses are the heart and foundation of our community. Instead of tearing them down, let’s champion fair discussion and celebrate the hard work that goes into serving our community.

imposing “huge impacts on the wallets of regional people.”

While scientific consensus indicates that achieving net zero by 2050 is vital to mitigating severe climate impacts, Pitt’s views highlight tensions within the Coalition on climate policy.

In his statement, Pitt acknowledged mixed reactions to his departure.

“While I know some will be disappointed, I’m sure my decision will be warmly welcomed by others. I wish Peter Dutton every success in 2025.”

He concluded with a Martin Luther King Jr quote: “Our lives begin to end the day we become silent about things that matter.”

WITH 3D SIGNAGE FROM THE PACK

SHOP SIGNAGE LASER ENGRAVING CNC ROUTING GRAPHIC DESIGN LOGOS VEHICLE WRAPS ONE WAY VISION BUSINESS CARDS FLYERS UNIFORMS PROMOTIONAL PRODUCTS AND SO MUCH MORE!

Hervey Bay Hospital’s new modular medical ward is one step closer to completion with the final of 17 pre-fabricated building modules craned into

place in December.

The 24-bed ward, part of a major hospital expansion, will be connected to the main facility via an enclosed walkway, improving patient flow and care.

The new ward will create 60 full-time jobs across various healthcare roles.

This addition complements other upgrades, including a new Emergency Department Level 2, 25-bed inpatient ward, 10-bed ICU, and rooftop helipad. Together, the expansion will add 59 bed spaces, boosting capacity for the Fraser Coast community.

The modular ward is expected to be operational by early 2025, pending weather conditions.

HERVEY Bay has welcomed one of the largest Vinnies stores in Queensland, with the opening of a massive new op shop on Boat Harbour Drive. Located in the former BCF site, the 1,500m² space has become a shopping haven for bargain hunters and op-shop enthusiasts.

The new store has replaced the previous Vinnies shop in Hervey Bay, which was already one of the top three performing Vinnies locations in the state.

With its prime location, spacious layout, and dedicated team of volunteers, the new shop is expected to become the most popular Vinnies store in Queensland, attracting both locals and visitors from the wider region.

The store offers a treasure trove of pre-loved clothing,

homewares, and unique finds, with all proceeds going towards supporting those in need in the local community.

With the rising popularity of sustainable and affordable shopping, Vinnies Queensland is excited to meet the growing demand for eco-friendly shopping options.

Linda de Blasio, Vinnies Queensland’s Northern Retail Operations Manager, said the new store represents a significant milestone for the charity and its ongoing work in the region.

She noted the increasing demand for sustainable shopping alternatives, especially during challenging economic times.

In the 2023-2024 financial year alone, Vinnies Queensland sold 9.3 million pre-loved

items, keeping quality goods out of landfill while generating vital funds for local community support services.

Over the last 12 months, the Fraser Coast region, including Hervey Bay, benefitted from over $210,000 in emergency assistance, providing vital aid to approximately 5,000 residents.

“At a time when many Queenslanders are feeling the strain of the cost-of-living crisis, every purchase made at Vinnies helps us deliver essential services like food, housing assistance, and support programs to those who need it most,” Linda said.

“Shopping at Vinnies isn’t just about finding great bargains — it’s about making a real difference in the lives of people doing it tough.”

PC & LAPTOP REPAIRS

NEW junior cricket training nets in Hervey Bay, and safety and access for training for the Hervey Bay Paddle and Outrigger Canoe Club Inc are among 12 projects supported by Fraser Coast Regional Council community grants.

At a meeting held in December, Council approved $80,154 in funding through Round 2 of the Community Grants Program and the Mayor’s Community Benefit Fund.

“Community groups play a vital role in fostering a vibrant, healthy and active society,”

Mayor George Seymour said.

“Through the Community Grants program and the Mayor’s Community Benefit Fund, Council provides grants from $500 to $15,000 for projects and events that meet community needs, build

skills and develop or maintain community infrastructure.”

Communities spokesperson Cr Phil Truscott said Council had four rounds of Community Grants in 2024/25, with applications for the next round opening on 20 January 2025.

“This latest round has funded a fantastic range of projects across the Fraser Coast, and I encourage all community

groups to take advantage of the support available,” Cr Truscott said.

“The $80,154 in Council funding will help deliver projects with a total value of $341,895, demonstrating the big difference a little support can make.”

More information about Council’s grants programs is available at https://www. frasercoast.qld.gov.au/grants

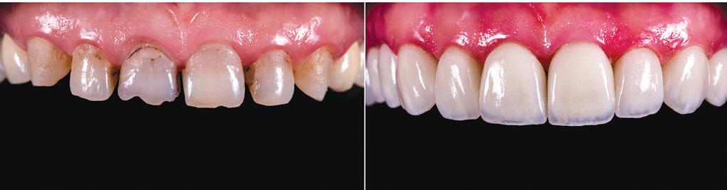
COSMETIC

FRASER Coast dog owners are urged to ensure their pets are registered ahead of a region-wide inspection program starting in early 2025.

Cr John Weiland said registering dogs annually was a requirement under Queensland Government laws, and it provided significant benefits for both owners and the broader community.

“Registering your dog makes it easier for Council to reunite lost pets with their owners. The registration fees also support vital services such as dog attack investigations, maintaining off-leash areas and running our animal adoption centre,” he said.

Cr Weiland said Council issued almost 24,000 dog registration renewal notices in early October, but more than 3,000 owners were yet to respond.

“We encourage dog owners to contact Council as soon as possible to register their pets or update their details,” he said.

At its 11 December meeting, Council approved the 2025 dog registration inspection

program, which will run from 1 March to the end of August.

Dogs must be registered with Council from twelve weeks of age and within 14 days of their owners moving to the Fraser Coast region.

Free first-time registration is available to encourage responsible pet ownership.

Annual renewals cost $40 for

desexed dogs.

If your dog has not yet been registered or its details have changed, especially if it has passed away, please contact Council at 1300 79 49 29 to update your information.

For more details, visit https:// www.frasercoast.qld.gov.au/ animals-and-pets

St James Lutheran Church

K’GARI (formerly Fraser Island) has stepped up its efforts to safeguard the island from the looming threat of bushfires, with months of strategic mitigation work carried out in preparation for this year’s bushfire season.

A collaborative initiative between the Department of Environment, Tourism, Science and Innovation, Butchulla rangers, the Rural Fire Service, and Fraser Coast Regional Council has resulted in the successful treatment of over 5,000 hectares through a planned burn program.

The program, which has been underway since January 2024, has seen 27 burns conducted, including 12 protection burns aimed at safeguarding residential areas and critical park infrastructure.

In addition to the burns, QPWS and Butchulla rangers have also completed maintenance along 320 kilometers of roads and fire breaks, particularly around key areas such as Orchid Beach, Eurong, Happy Valley, and Kingfisher Bay Resort & Village.

As the summer holiday season is here, authorities

Dr. Behrendorff stressed that campfires are prohibited in K’gari’s national park except for two designated sites, Dundubara and Waddy Point campgrounds. Over the past two years, QPWS has issued 87 penalty infringement notices to those found violating the rules.

The rangers’ efforts to mitigate bushfire risk are critical, but Dr. Behrendorff warned that the current highrisk period requires continued vigilance. She encouraged residents to clear their properties of fallen branches and urged campers to follow strict fire regulations.

K’gari’s Senior Ranger, Linda Behrendorff, emphasised the importance of these efforts, highlighting that the planned burns have created a mosaic of burnt and unburnt areas across 18 blocks of land.

This strategy is designed to slow the spread of bushfires and promote a healthy environment.

are urging both residents and visitors to exercise caution, particularly when it comes to campfires.

Recent reports have raised concerns about unlawful campfires, with QPWS rangers investigating an incident in November near Eli Camping Zone.

The campfire had not been properly extinguished, with smouldering ashes still present upon discovery.

“A recent bushfire caused by campers near Maheno on Eastern Beach disrupted our planned burns,” Behrendorff said. “It’s vital for everyone to recognise the long-term consequences of their actions.”

With bushfire season in full swing, K’gari remains a focal point for both conservation and fire risk management.

The island’s success in managing these risks hinges on continued collaboration and responsible behaviour from all visitors and residents.

‘Called to Share’

9am every Sunday

Urraween Road - West of Hospital

STUDENTS from TAFE Queensland’s Fraser Coast campuses celebrated their achievements in December, donning caps and gowns for a graduation ceremony at the Carriers Arms Hotel.

Over 60 graduates from various fields, including individual support, beauty, automotive, and horticulture, gathered to mark the end of their studies and the start of their careers.

TAFE Queensland’s East Coast General Manager, Mark Reilly, highlighted the ceremony as a moment for students to reflect on their hard work and look ahead to their career goals.

“Graduation is a chance to celebrate the results of their efforts and their contribution to the community,” Reilly said. A standout moment was the presentation of the 2024 Fraser Coast Student of the Year award to 19-year-old Jakeb Nicolaou, a Diploma of Nursing graduate.

recognised for all the work I’ve put in,” he said. Jakeb, who started his studies at 15 through TAFE at School,

Nominated by her students, Heather expressed gratitude for the recognition, saying, “It’s an honour to be part of

Local Learning Network

THE HERVEY Bay City Centre car park extension and upgraded facilities at the popular pump track were officially opened on December 24.

Fraser Coast Mayor George Seymour announced the addition of 164 parking spaces between the Hervey Bay PCYC and the current library, improving access for locals and visitors. This expansion is part of the Hervey Bay City Centre redevelopment under the Hinkler Regional Deal.

“This expanded car park will enhance access to businesses, Council venues, and recreational spaces, while also supporting visitors and workers at the future Hervey Bay Community Hub,” Mayor Seymour stated.

Upgrades to the surrounding pump track area included new toilet cubicles, shelters, a BBQ area, a water bubbler, bike racks, bins, sandstone seating, electrical work, and additional trees for shade.

“These enhancements improve the experience for pump track users and the rapidly growing pickleball community,” Mayor Seymour said. “The facilities will support the Hervey Bay Pickleball Club in fostering recreational and competitive opportunities.”

The upgrades were completed for $420,000, funded by the Council, while the Queensland Government supported both the Hervey Bay and Maryborough pump tracks with a $1.3 million Works for Queensland grant.

The $2.5 million car park extension included excavation, drainage, stormwater management, kerb construction, asphalt surfacing, footpaths, lighting, and landscaping. It was funded by the Australian Government’s Local Roads and Community Infrastructure program ($1.3 million) and the Council ($1.18 million).

These projects are key components of the Hinkler Regional Deal, a partnership between the Australian Government, Fraser Coast Regional Council, and Bundaberg Regional Council, aimed at driving economic growth and long-term job creation in the region.

Fraser Coast Community Notice

IN A HEARTWARMING show of community support, Markets at the Pier held its

The event, which marked a significant moment for the newly appointed market management, successfully raised $20,000 to be distributed among 19 local charities across the Fraser Coast region.

The markets are now managed by the Community Focussed Markets Fraser Coast Association, a nonprofit organisation awarded the tender to run the markets in August.

Proceeds for the generous donation were raised through stallholder fees collected throughout the year.

These funds will go towards a variety of worthy causes, from animal rescues to community support services, all working tirelessly to improve the lives of those in need.

A list of recipients includes wellestablished local organisations such as Yoorana – Second Life Project, Fraser Coast Hospice, MACE Wide Bay, Hope in a Suitcase Hervey Bay, Bayside Transformations, and the Hervey Bay Animal Refuge.

Other recipients include organisations like Red Bikes, Fraser Coast Christmas Hamper Appeal, Women’s Walk and Talk Hervey Bay, and Men’s Walk and Talk Hervey Bay, along with several

others focused on improving lives across the region.

“These organisations do incredible work on the Fraser Coast, and it’s an honour for us to be able to assist them in their mission,” said a spokesperson for Markets at the Pier.

“The funds raised will help support their ongoing efforts and bring attention to the vital work they do in our community.”

In addition to the financial donation, the event offered a platform to raise awareness about the selfless volunteers and dedicated teams behind these charities.

It highlighted the positive impact

these organisations have on the community, including the animals, individuals, and families they serve.

The Community Focussed Markets Fraser Coast association thanked the local community for its ongoing support and expressed gratitude to the stallholders, local musicians, and Fraser Coast Mayor George Seymour, along with the Fraser Coast Regional Council, for their continued backing of the initiative.

With future charitable plans in place, Markets at the Pier is committed to strengthening the community and offering further opportunities to support local causes in the years to come.

A FREE program that helps job seekers get ready for work and supports businesses to find and keep staff has been extended to Maryborough.

Fraser Coast Mayor George Seymour said the Jobs Ready program, run by Council and funded by the Australian Government Department of Social Services, had been successful since it started in Hervey Bay in 2022.

“The program has two elements – the Jobs Pathway program for job seekers and the Business Managers program for business owners and managers,” he said.

“We’ve had great feedback from those involved in the program, and we’re excited to extend it to Maryborough.

“The Jobs Pathways

program helps people build skills for finding and keeping a job. It covers writing resumes and application letters, preparing for interviews, and applying for jobs online and in person.

“The program helps boost confidence and job readiness in a supportive learning environment. Participants also learn more about local industries through site visits and guest speakers.

“Council wants to grow a strong, resilient and diversified local economy, and this program plays an important part in that.”

The Jobs Pathways program is free, open to ages 17 and above, and runs for four weeks, three days a week (Tuesday, Wednesday and

Thursday) from 9am to 2pm. Participants are provided with a light breakfast and lunch. Each course has an information session before it starts and is limited to 20 participants.

The first Maryborough course in 2025 starts on 21 January, and the next Hervey Bay course starts on 25 February.

The Business Managers program will also run again in February 2025. It covers tips for hiring and keeping staff, understanding legal obligations and getting the most from your team.

To learn more about the Jobs Ready Program, visit Council’s website at https:// www.frasercoast.qld.gov.au/ jobs-ready-program

TOURS & TRAVEL

MOTORCYCLE mechanical technology apprentices from across the state have been gifted the valuable opportunity to learn first-hand on one of the industry’s latest models, with TAFE Queensland’s Hervey Bay campus receiving a generous donation from Kawasaki Motors Australia.

The 2023 Kawasaki Stockman Ag Bike was delivered to the campus as a permanent loan in late October, with a representative from the business flying up from Sydney to officially hand it over and educate apprentices on the Kawasaki proprietary computer service diagnostic tool that they will need to learn to service the vehicle.

TAFE Queensland

motorcycle mechanical technology teacher Jeff Morris said the organisation was grateful for Kawasaki Motors Australia’s generosity and that students in his Hervey Bay based course, which delivers training to apprentices from right across Queensland, would benefit immensely from the new addition.

“Kawasaki Motors Australia has been a great supporter of TAFE Queensland over the years, donating two other bikes to us in the past and providing me with the technical training to be able to pass on to our students,” Jeff Morris said.

“Our course delivers a broad scope of competence, with dealers from cities up and down the coast of Queensland

who deal with road bikes, and western dealerships who deal with off-road equipment, sending their apprentices to us for training.”

“It’s important for us to have a wide variety of equipment that enables our students to gain a broad experience in working with all types of bikes they may be faced with in the workplace,” he said.

“This 2023 model Stockman Ag Bike—which was previously used for dealer training—will go a long way to doing just that, offering students a valuable chance to develop their knowledge and skills in some of the latest off-road equipment and technology.”

AVOIDING THE DENTIST?

TIME TO SEE THE FRIENDLY TEAM AT BLUE SKY DENTAL

• A focus on good customer service from the moment of entry until departure

• To provide you with the highest standard of dental care in a safe and healthy environment

• To strive for pain-free and positive treatment outcomes

• A fair and competitive pricing structure

• To make every effort to run on time, our aim being to see you within fifteen minutes of your appointed time

• Manageable treatment plans

• To make every endeavour to see you on the day if you have an emergency

• Child-friendly environment to allow your little ones to feel relaxed and comfortable

KEEP COOL FOR AUSTRALIA DAY

1 William Dean Ave, Urangan (near the airport) P 07 4128 9276 www.blueskydental.com.au

Opening Hours: Mon to Thurs 8.30am-5pm | Friday 8.30 to 1.30pm Outside hours appointments are available by prior arrangement

a Daikin or Mitsubishi Heavy Industries ducted system from Midcoast Air, and you go in the draw to win!

*Purchase a Ducted Air System by 24th January, 2025 for a chance prize of $1,000.

Leanne Angeles (retired at the end of 2024) first became connected to the school in 1987 when she enrolled her eldest son in preschool.

“It has been my life ever since,” she reflects. Over the years, Leanne transitioned from being a parent volunteer to a dedicated teacher’s aide, primarily supporting the lower school. Despite offers elsewhere, she never considered leaving.

“It would have taken me out of my comfort zone,” she says, noting the close friendships she’s formed

over the years.

for the school, becoming

her honour—two of her proudest accomplishments.

She also played a key role in organising the school’s 75th Anniversary Celebrations in 1991 and the 100th Centenary Celebrations in 2016.

Mark Fowler, who will retire in early 2025, joined the school as a teacher and has served as Deputy Principal for many years. Reflecting on his journey, he says, “When I first got transferred here, I thought the principal had been here for ages—now look at me!”

Mark has overseen numerous school developments, from refurbishing buildings to the construction of a new hall, shaping the school’s physical environment.

Mark, a humble leader, says his greatest achievement is “making a positive difference in the lives of students and staff.”

His leadership and dedication

Leanne has been a strong advocate
a lifetime member of the Parents & Citizens (P&C) committee and having a building named in

to

I have worked alongside for many years and some fairly new, but all lovely.”

“I will miss the impromptu hugs

Both

Mr Fowler said, “I am looking forward to my alarm not going off in the mornings and being able to do things I would like to do rather than things I have to do.”

“I am going to miss people the most (both adult and child). I am also going to miss the amount of walking I currently do because I will have to purposefully go for a walk rather than clock up thousands of steps a day as part of my job.”

Mrs Angeles said, “I will miss all my amazing co-workers, some who

and little drawings and flowers stolen from someone’s garden the kids have picked on their way to

Torquay Doctors is moving! We’re very excited to announce the opening of our new practice rooms!

school. I will also miss the friendly chats and the loving support on the ‘not so good’ days. I will miss coming in early and sitting in the quiet classroom, usually doing jobs, but relaxing before the start of my day.”

“I will even miss the duties where I get to talk to so many of the students.”

“I am looking forward to spending more time with my mum and family and doing a bit of travelling and camping.”

“It is time to slow down and enjoy the next stage of my life.”

Together, Leanne and Mark have fostered a deep sense of community and helped shape the school’s legacy across multiple generations. Their retirement represents not just the end of an era for Urangan Point State School but also a milestone in the lives of the many students and families they’ve influenced.

FRASER Coast Regional Council will conduct smoke tests in Hervey Bay and Maryborough early this year to find and fix issues in the sewerage system.

The tests, scheduled from March to May 2025, will help identify leaks and illegal pipe connections that allow

Pre-show

amount of wastewater that needs treatment,” he said.

“During heavy rain, the amount of sewage flowing to treatment plants can be more than five times the normal levels. This extra water is costly to treat, can overload the system and may harm the environment.”

coming from roof gutters, yards, pipes or street drains. It’s also possible for smoke to appear inside homes if drainage traps are dry. However, the smoke is completely harmless to people, pets and plants.”

Cr O’Keefe said Council’s approach is to work with

Who do we help?

We support anyone who has been bereaved or impacted by suicide including:

• individuals, families, friends, witnesses

• schools, workplaces and community groups

• first responders and service providers

To find more information and free resources please visit standbysupport.com.au

AT NINETY-EIGHT, Herbert

Thomas Gardner enjoys life on his sprawling acreage, overlooking the Sandy Straits, Round Island, and K’Gari and driving his buggy.

He moved to this tranquil haven in his sixties with his late wife, Joyce, originally buying 200 acres before dividing the land and keeping 80 acres for himself.

Born in 1926 in Home Hill, south of Townsville, Herbert was the youngest of four children.

His parents owned a farm in Inkerman, near the Burdekin River.

Tragedy struck early when Herbert’s father died of a sudden heart attack at 52, leaving his mother to raise four children alone during the Great Depression, Herbert was just four years old.

The family scraped by the kids sold milk to neighbours on the way to school.

In 1936, his mother was forced to

sell the farm, and Herbert’s older siblings went north to work.

Herbert and his sister Mavis stayed with their mother until 1938, when, at 12, he was sent to Abergowrie boarding school near Ingham.

A year later, he worked on the Munro family farm—once his own family’s—soon earning ten shillings a week.

As World War II began, his older siblings joined the war effort.

At 16, Herbert found work with American Remounts in Townsville, training horses and mules for New Guinea pack work.

Later, he joined the U.S. Army Small Ships Section, transporting supplies to Allied troops while working as a cook and deckhand.

In 1948 Herbert began installing clothes hoists and later met his first wife, Jewel Zipf, at a dance hall in Brisbane. They married in 1951 and moved to Herbert’s Camp Hill

property, where they lived in a fibro hut before moving to Archerfield.

With no power or sewerage, the couple relied on kerosene lamps and an ice chest until 1955.

By 1956, Herbert and Jewel welcomed their first child, Joanne, followed by Kym in 1958.

An avid water skier, Herbert dreamed of owning waterfront land and creating a recreation park.

After many setbacks, this became a reality with Aquatic Gardens, a caravan park and ski resort he established at Carbrook.

In 1977 tragedy struck when his eldest daughter, Joanne, died in a car accident at 20, devastating the family.

Life as they knew it would never be the same.

The following year, he and Jewel divorced, having long realized they were not well-suited.

After selling the caravan park in 1980, Herbert’s life took a new

direction and he found love again with Joyce and they married a few years later.

He listed Aquatic Gardens for sale in 1985, the sale took about two years.

The property is now called Bayside Wake Park.

Together, they moved to Hervey Bay and built a new life.

Herbert’s enterprising spirit led him to establish Gardel Palm Nursery, which thrived until his retirement in 2014.

Herbert and Joyce shared 39 wonderful years, traveling the world and creating cherished memories until Joyce’s passing in 2021, he misses her every day.

Herbert lives with his beloved cats, Jimmy and Kitty Kat, surrounded by nature.

Herbert stays active, and played tennis until 92, and now enjoys table tennis three days a week between

Despite challenges like a bowel cancer diagnosis, fixed after an operation, and prosopagnosia, his health and resilience endure— perhaps due to genetics.

His mother lived to 82, and his siblings reached their nineties.

His sister Mavis is turning 101 next year, and still lives in her house in Hervey Bay, where Herbert visits her regularly.

Herbert cherishes time with his daughter Kym, grandchildren, greatgrandchildren, and stepdaughters. Reflecting on his life, he credits hard work, a positive outlook, and family for his longevity and says, “I’ve lived a good and healthy life and wouldn’t change a thing!”

the Hervey Bay Social and Activities Centre (formally known as APSL) and the Senior Citizen’s Centre.
State Member for Hervey Bay, David Lee, chats with stallholder Pete Bayley
Volunteers from the Fraser Coast Memorial Fishing Club fire up the BBQ Abigail Smith, 10, and her mum Tiona love their photo whirls
The Golding family. Sara, Aidan, 4, Alan, and Mia, 2, gear up to welcome the new year
Ziya Bas, 9, has star quality as both a singer and performer
Fraser Coast Artlink’s member Annette Kitchener looks forward to an exciting new year
Paige Carter, 8, and her sister Zoe enjoy a ride on a mechanical panda bear
Cory Edwards hitches a ride with Winston, 5

A WHOLE LOTTA UTE FOR UNDER $50K FROM $45,715 - $49,390 DRIVE AWAY

Kerry Campbell Homes are Hervey Bay’s house & land specialists. Servicing the region for more than 25 years. Building quality, a ordable homes to suit any budget.

View Refer R&H Hervey Bay Website Auction 30th January Auction - at 7.00 pm - In Rooms Web rh.com.au/herveybay/L31701213

Stunning Coastal Retreat

Nestled in the serene and sought-after community of Dundowran Beach, this exquisite property offers a perfect blend of luxury, space and coastal living. Set on a generous 5000 sqm block, this stunning house features everything you need for a comfortable and stylish lifestyle.

The 4 spacious bedrooms are each designed with comfort and relaxation in mind. The master suite boasts an ensuite bathroom and ample closet space, providing a private sanctuary for unwinding after a long day. 2 modern bathrooms, featuring high-quality fixtures and finishes. Enjoy the convenience of a well-appointed family bathroom, perfect for busy mornings.

A double garage provides secure parking for your vehicles and additional storage space, ensuring your home remains clu er-free.

Set on a sprawling 5000 sqm, soak up the sun in your own private oasis, the grounds have been lovingly developed into a park like estate combining open spaces with secluded alcoves, creating an avenue of views where you will find the best in nature on display. You’ll have plenty of room to enjoy outdoor activities, gardening, or endless possibilities for entertaining with family and friends.

Hervey Bay 4128 2188 357 Esplanade, Scarness rh.com.au/herveybay

6 Pandanus Drive, Dundowran Beach

View By Appointment

Auction 30th January Auction - at 7.00 pm - In Rooms Web rh.com.au/herveybay/L31885859

50-52 Madsen Road, Urraween

A Rare Slice of Colonial Elegance

Embrace the comfort of this stunning 5-bedroom Queenslander - a true masterpiece of 1890’s colonial design. Perched on nearly an acre in a prime in-town location, this home offers a unique blend of historical charm, modern convenience and architectural elegance, close to hospitals and major shopping.

The upstairs bedrooms all boast French doors that open onto an expansive balcony, wrapping around threequarters of the home and capturing tranquil breezes. Inside, marvel at the meticulously handcrafted period fi ings and finishes, original hardwood floors, and soaring ceilings - nearly four meters high.

The kitchen’s wooden cabinetry is both timeless and functional, while the former servant quarters have been transformed into convenient bed and bathrooms. Downstairs, a selfcontained living space includes a huge bedroom and lounge area-perfect for guests or extended family.

Outside, enjoy the lap-sized swimming pool surrounded by lush greenery. The property’s blend of history and practicality continues with its layout, allowing endless opportunities for entertaining, relaxing, or expanding.

Hervey Bay 4128 2188

357 Esplanade, Scarness rh.com.au/herveybay

View Refer R&H Hervey Bay Website

10/15 Shell Street, Urangan - Stage 2, Fauna Lakes

Indulge in Lakeside Tranquillity

Located in the desirable Urangan suburb, a short stroll from the Esplanade, restaurants, cafes, local markets and the iconic Urangan Pier, is Villa 10 nestled in the tranquil “Fauna Lakes, Stage 2 Complex.” This master-built 3-bedroom, 2-bathroom home by renowned builder, Ron Brown Homes, blends modern style with thoughtful design. A spacious media room adds versatility, while the open-plan living area features a stunning designer kitchen with stone benchtops and quality appliances. The main bedroom includes an ensuite with double vanity and plantation shu ers on the windows. The designer kitchen featuring stone bench tops and built-in appliances leads out to the dining area and private patio. Step outside to the alfresco patio to enjoy the peace and quiet in your own private courtyard.

View Refer R&H Hervey Bay Website

Price On Application

Web rh.com.au/hervey bay/L32081826

Hervey Bay 4128 2188

357 Esplanade, Scarness rh.com.au/herveybay

8/15 Shell Street, Urangan - Stage 2, Fauna Lakes

Peaceful Sought After Location

Discover comfort and convenience at Villa 8, situated in the sought-after “Fauna Lakes, Stage 2.” This thoughtfully designed 2-bedroom, 2-bathroom villa boasts modern living with timeless appeal. The open-plan layout includes a stylish kitchen with stone benchtops and premium appliances, flowing seamlessly into the dining and living areas. The main bedroom features an ensuite with a double vanity and plantation shu ers, while the second bedroom and bathroom provide additional space for family or guests. Step outside to a private, fully fenced courtyard, perfect for entertaining or relaxing in peace. Complete with a single lock-up garage, Villa 8 offers easy living in Urangan, close to cafes, restaurants, local markets, the Esplanade, and the iconic Urangan Pier.

109 Freshwater Street, Torquay

Close to the Beach

Situated right in the heart of Hervey Bay’s busy beach front strip, this is an opportunity with plenty of options for this approx 1012 m2 block, redevelop today, land bank with a solid holding income or take advantage of the home yourself. Located one street from the beach and an easy stroll to cafes, restaurants and pubs this property consists of 2 bedrooms with a single garage plus 3 bay shed with workshop.

View Refer R&H Hervey Bay Website

Price $818,000 Web rh.com.au/hervey bay/L31414869

Hervey Bay 4128 2188 357 Esplanade, Scarness rh.com.au/herveybay

89 Gilston Road, Wondunna

Family Home on Expansive 1441 sqm Block

This spacious 4-bedroom home offers comfort, functionality and versatility for a growing family or hobbyist. It features an open-plan kitchen, dining and living area, plus a large separate lounge, all complemented by ducted air conditioning and a 10kW solar system. The master bedroom includes a two-way ensuite through to the laundry. Outdoors, enjoy ample storage with a 6x9m powered shed and an additional 9x3m shed perfect for a workshop or low-height car/boat storage. A good-sized undercover entertaining area completes the outdoor space.

View Refer R&H Hervey Bay Website

Price $750,000 Web rh.com.au/hervey bay/L31444426

4/15 Shell St, Urangan – Stage 2 Fauna Lakes

This luxurious 3-bedroom, 2-bathroom villa in the “Fauna Lakes, Stage 2 Complex” offers tranquil lakeside living in a secure gated community. Built by Ron Brown Homes, the villa features a spacious media room, designer kitchen with stone benchtops, and an open dining/ entertainment area. The main bedroom boasts lake views, an ensuite, and plantation shu ers. Located in Urangan, it’s within walking distance of restaurants, cafes, the Esplanade, local markets, and Urangan Pier. Ready to move in!

View Refer R&H Hervey Bay Website

Price On Application Web rh.com.au/hervey bay/L31178042

15 Mitchell Avenue, Craignish

3 Oriole Court, Eli Waters

Do You Play Golf?

This picturesque acreage boasts breathtaking vistas. From the moment you arrive you’ll be captivated by the meticulously landscaped surroundings providing a sense of seclusion and privacy. Adding to the allure are the 2 beautiful homes featuring a pool, plus 3 bay garage with wall to wall storage. The homes need no work, ready to move in and enjoy, whether envisioning your forever homes with extended family, or the burgeoning Airbnb market this property offers limitless possibilities.

View By Appointment

Price Contact Agent

Web rh.com.au/hervey bay/L1074671 4 6 5

Located in a quiet court with the Hervey Bay Golf Course as your backdrop, this wonderful family home offers a lifestyle that will make you the envy of all your friends. Boasting 4 bedrooms and multiple living zones that include spacious open plan living and separate formal lounge room. The kitchen, located just off the main hub is a bright and practical area. Moving out into the enclosed outdoor area, this is the perfect spot to entertain family and friends overlooking the inground swimming pool and fully fenced backyard.

View By Appointment

Price $1,000,000 Web rh.com.au/hervey bay/L1071401

35 Magellan Circuit, Urraween

Looking for a comfortable and modern style property, well this 3-bedroom, 2-bathroom home ticks that box. Spacious and open planned this home provides plentiful space for family living and entertaining. With three bedrooms including the main with an ensuite, privacy and convenience are key for family harmony. The modern kitchen leads into the open-plan living and dining area seamlessly perfect for family gatherings. The integral double garage provides secure parking. With an undercover patio and outdoor patio, there is plenty of entertaining options all year round.

View Refer R&H Hervey Bay Website

Price $672,000 Web rh.com.au/hervey bay/L31333761

79 Condor Drive, Sunshine Acres

This remarkable property offers an expansive 5 acres of land, providing ample space for your rural lifestyle aspirations. As you step inside this charming home, you will be greeted by spacious living areas filled with natural light, creating a warm and inviting atmosphere. The outdoor space is a true highlight, imagine hosting summer barbecues next to the inground sparkling pool, enjoying peaceful morning walks, or simply unwinding in your own private oasis.

View Refer R&H Hervey Bay Website

Price $1,188,000

Web rh.com.au/hervey bay/L1070974

3 Parlon Court, Kawungan

This open plan kitchen, dining and living area home has 3 spacious sized bedrooms and 1 bathroom, set in the beautiful surroundings of the Kawungan school catchment area. Si ing on a generous 760 m2 block, the sizeable backyard is perfect for families who enjoy outdoor activities or just simply spend your days or nights enjoying the quiet life relaxing in the covered outdoor entertainment area which can be used all year round.

View Refer R&H Hervey Bay Website Price Submit Offer

63 Gundesen Drive, Urraween

3 4 5

Located in a highly desirable neighbourhood, this family home offers privacy and convenience, being just a short distance from all essential amenities. The custom-designed kitchen serves as the focal point of the home, overlooking the open-concept living area. The master bedroom, offers a walk-in wardrobe and a stylish ensuite lined with designer tiling. A second living area ensures plenty of room for everyone. The private, covered deck with plantation shu ers is an excellent space for entertaining family and friends.

View By Appointment

Price $1,250,000

Web rh.com.au/hervey bay/L29268483

Forget what you know about ‘elegance’ and ‘luxury’ - come see the new standard. Set on a generous block and detailed with quality finishes, contemporary design elements and thoughtfully crafted spaces, this property offers a ‘no expenses spared’ luxurious retreat for everyday living. Enjoy an open-plan layout that seamlessly connects living, dining, kitchen and outdoor areas - perfect for entertaining family and friends. The well-appointed kitchen is a true chef’s delight and with four generously sized bedrooms this home offers abundant space for relaxation and privacy.

View Refer R&H Hervey Bay Website

Price $990,000

Web rh.com.au/hervey bay/L31663583

3/63 Newhaven Street, Pialba

This beautifully cozy 3-bedroom unit blends convenience with a coastal lifestyle. Here in the vibrant easy-living neighbourhood of Pialba, you’re never too far away from local amenities, beaches, recreational parks and schools. Upstairs offers two bright, airy bedrooms filled with natural light throughout the day, along with a separate bathroom. Downstairs, you find the main bedroom with ensuite conveniently positioned across from the kitchen. Exposed brickwork infuses the space with a touch of urban character, adding a warm inviting feel that brings the outside in.

View Refer R&H Hervey Bay Website

Price $528,000

Web rh.com.au/hervey bay/L1075646

12/2 Barnstaple Street, Torquay

Located in the sought-after ‘La Piazza’ gated residential complex, this spacious 2-storey villa unit offers a blend of comfort, convenience, and style. Featuring three well-appointed bedrooms, two of which boast walk-in robes, and the main bedroom located on the ground floor with an ensuite. A separate lounge and dining room provide ample space for relaxation and entertaining, while the well-equipped kitchen offers plenty of storage for all your culinary needs.

View By Appointment

Price $650,000

Web rh.com.au/hervey bay/L30291801

1/14 Bentley Way, Urraween

2 2 3

Hervey Bay 4128 2188 357 Esplanade, Scarness rh.com.au/herveybay 48 Senorita Parade, Urangan

Pristine 3-bedroom, 2-bathroom house located in the sought-after estate of Highview. This property boasts a modern open plan living area and additional outdoor leisure space, perfect for entertaining guests or relaxing with family. The modern kitchen features high-quality appliances, premium fi ings, and ample storage. The property also includes an epoxy floor double garage, providing secure parking for two vehicles. This home represents outstanding value in this estate; don’t miss out on the opportunity to own this beautiful property in a great location.

View Refer R&H Hervey Bay Website

Price $680,000

Web rh.com.au/hervey bay/L28285641

Hervey Bay 4128 2188

357 Esplanade, Scarness rh.com.au/herveybay

Discover a lifestyle of convenience and location in this 2 bedroom apartment, ideally situated opposite the beach. Both bedrooms are wellsized and designed for comfort, with the main bedroom featuring an ensuite. This apartment is designed with lifestyle in mind, featuring a spacious layout that will create a relaxing atmosphere. Easy access to all floors with a lift, adding convenience to your daily living. Take advantage of the on-site pool, perfect for relaxation and leisure without leaving the comfort of your home.

View Refer R&H Hervey Bay Website

Price $478,000

Web rh.com.au/hervey bay/L29099872

71 Mathiesen Road, Booral

32/1 Ibis Boulevard, Eli Waters

This 2-bedroom, 2-bathroom house offers a perfect blend of comfort and convenience, making it an ideal choice for first-time buyers, downsizers, or investors. Upon entering the property the hallway leads directly to the open plan kitchen/dining area leading to the covered patio area, perfect for entertaining or just relaxing. Upstairs the 2 generous sized bedrooms with the main featuring an ensuite and walk-in robe. Within walking distance to shops or the Hervey Bay Golf Club don’t miss your chance to secure this fantastic property!

View Refer R&H Hervey Bay Website

Price $420,000

Web rh.com.au/hervey bay/L31374031

15/3

Shell Street, Urangan

This a delightful family residence that perfectly blends comfort, space and nature. As you step inside, you’ll be greeted by a warm and inviting interior that features a seamless flow between the living room, dining area and kitchen. The living room is spacious and bright, providing a cozy gathering space for family activities or quiet evenings. The backyard is a true highlight, offering a sprawling green space perfect for children to play, pets to roam, or for hosting summer barbecues with family and friends.

View Refer R&H Hervey Bay Website

Price $755,000

Web rh.com.au/hervey bay/L30816914 2 3 3

141 Moorabinda Drive, Sunshine Acres

Presenting an exceptional opportunity to own a charming 3 bedroom, 1 bathroom lowset brick home set on the front side of a sprawling 10-acre property. An enticing aspect of this property is the potential for future development and subdivision. With current surveyor’s plans in place to divide the property into two 5-acre blocks, there is the opportunity for dual occupancy or the option to create a separate dwelling on the subdivided portion.

View By Appointment

Price $1,222,000

Web rh.com.au/hervey bay/L23238949

587 Esplanade, Urangan

Discover the perfect canvas for your dream home at this stunning 843 sqm (approx) residential land located on the highly soughtafter Esplanade in Urangan. This exceptional property offers a rare opportunity to build your ideal retreat in a picturesque coastal se ing. Surrounded by vibrant greenery, mature trees, and native plants, this property offers a serene and tranquil atmosphere, ideal for relaxation and rejuvenation. This is an opportunity to create a lifestyle that embodies coastal living at its finest. The neighbouring block is also available.

View By Appointment

Price $1,050,000

Web rh.com.au/hervey bay/L31723575

This exquisite 2-bedroom, 2-bathroom unit offers a perfect blend of modern architecture and coastal charm. Step inside to discover a thoughtfully designed living room that flows seamlessly into a modern kitchen. The dining room is perfect for hosting family dinners or intimate gatherings. The two spacious bedrooms are designed for comfort and relaxation. Step outside to your private backyard, where you can soak up the sun or enjoy alfresco dining while taking in the stunning Hervey Bay weather.

View Refer R&H Hervey Bay Website

Price $690,000

Web rh.com.au/hervey bay/L26440267

90 Esplanade, Point Vernon

This stunning waterfront property offers the perfect blend of luxury and coastal living. This spacious house features 3 bedrooms, 4 bathrooms and a 2 car garage, all situated on a generous 635 sqm land area. The property boasts a modern design with high-end appliances, beautiful architecture, and a balcony overlooking the breathtaking sea views. The interiors are thoughtfully designed with a focus on natural light and open spaces, creating a serene and inviting atmosphere.

View By Appointment

Price $2,250,000

Web rh.com.au/hervey bay/L22119412

588 Esplanade, Urangan

Nestled in a prime waterfront location, this property offers an unparalleled opportunity to create your own slice of paradise amidst nature’s beauty. Enjoy the soothing sounds of the sea and stunning views right from your doorstep. The land is adorned with mature trees and vibrant greenery, creating a serene garden-like atmosphere. Situated in the desirable Urangan area, you’ll be close to local amenities, pristine beaches, and recreational activities. The neighbouring block is also on the market and they are currently consolidated for rates purposes.

View By Appointment

Price $1,350,000

Web rh.com.au/hervey bay/L31725329

Auction Thursday 30/1

Hervey Bay 4128 2188 357 Esplanade, Scarness rh.com.au/herveybay

19 Minguin Street, Scarness

Discover this 3-bedroom home, each of the three bedrooms is generously sized, providing ample storage and a retreat for family members. The functional kitchen leads to the dining, entertaining and pool areas. The highlight of this home is the expansive outdoor entertaining area overlooking the sparkling in ground pool which is ideal for cooling off on the hot days. With plenty of entertainment space for relaxing, dining and hosting guests.

View Refer R&H Hervey Bay Website

Price Submit Offer Web rh.com.au/hervey bay/L31484732

8 Serene Way, Wondunna

Thursday 30/1

110 Barranjoey Drive, Sunshine Acres

Nestled in the coveted enclave of Sunshine Acres, this luxurious estate on a private 5-acre lot offers unparalleled seclusion. The grand residence features multiple living zones, a chef’s dream kitchen with stone benchtops, and a luxurious parents’ retreat with an ensuite and lounge. Outdoor entertaining is a breeze with an alfresco dining area, BBQ, and a 10x4m saltwater pool. Additional highlights include a three-bay shed, self-contained office/studio, horse paddock, 6.6KW solar power, and stateof-the-art amenities.

View By Appointment

Price Contact Agent Web rh.com.au/hervey bay/L1070957 3 16 5

3/81 Miller Street, Urangan

This spacious 4-bedroom Wondunna home offers convenience near shops, schools and the Esplanade. It features a modern kitchen with a gas cooktop, dishwasher and island bench that flows into a generous open-plan living and dining area, plus a separate lounge. The master bedroom includes a walk-in robe and ensuite, while additional bedrooms offer built-ins. With ducted A/C, a double garage, an under-roof entertaining area, and a fully fenced yard with a garden shed.

View Refer R&H Hervey Bay Website

Price Submit Offer Web rh.com.au/hervey bay/L31426535 2 2 4

328 O’Regan Creek Road, Toogoom

Beautifully presented this home comes packed with charm and character. Nestled in the tranquil surroundings of Toogoom and only a short stroll to the beach, this home offers the perfect blend of space, comfort and open plan living. Set on just under 1.25 acres of beautifully landscaped gardens, the main residence blends effortlessly with the lush tropical surrounds. Whether hosting small & intimate or large & loud all your entertainment needs are catered for.

View Refer R&H Hervey Bay Website

Auction 30th January - at 7.00 pm - In Rooms Web rh.com.au/hervey bay/L31662630

2 Pavilion Court, Burrum Heads

2 3 4

This exquisite property offers a perfect blend of comfort, style and space, making it an ideal haven for families and entertainers alike. The contemporary kitchen is equipped with high-quality appliances, ample storage and functional design. The well-appointed bedrooms are each designed for relaxation and privacy. The master suite offers generous closet space and a private balcony retreat with stunning sea views. Step outside to discover the sparkling in ground pool, perfect for family gatherings or simply unwinding in the fresh air.

View Refer R&H Hervey Bay Website

Auction 30th January - at 7.00 pm - In Rooms Web rh.com.au/hervey bay/L31648660

Thursday 30/1

This delightful 2-bedroom unit offers a perfect blend of comfort and convenience, making it an ideal choice for first-time buyers, downsizers, or savvy investors. The spacious bedrooms are filled with natural light. Perfect for entertaining is the air-conditioned open plan living/dining area and functional kitchen. Enjoy the convenience of a single garage space and private courtyard. Situated in the sought-after suburb of Urangan, just 400m to the Boat Club & Marina.

View Refer R&H Hervey Bay Website

Auction 30th January - at 7.00 pm - In Rooms Web rh.com.au/hervey bay/L31958128 1 1 2

5 Wodalla Mews, Point Vernon

Location in the coastal suburb of Point Vernon, this 3 bedroom 1 bathroom charming well maintained low set home is nestled away in a very quiet cul-de-sac. Ideal for a growing family, first-time buyers or investors this proper-ty is ideal. Featuring a well-appointed modern kitchen this welcoming home also includes solar power, split system inverter air conditioning, a powered shed consisting of 8 x 6m studio apartment and side access for boat/ van or trailer.

View Refer R&H Hervey Bay Website

Auction 30th January - at 7.00 pm - In Rooms Web rh.com.au/hervey bay/L31664567

2 Jubata Court, Burrum Heads

View Refer R&H Hervey Bay Website Auction 30th January - at 7.00 pm - In Rooms Web rh.com.au/hervey bay/L31649229 2 2 3

This beautifully presented family home combines comfort, style and an enviable coastal lifestyle. Nestled on a generous 750 sqm block, this property offers ample space for relaxation and entertaining, making it the perfect sanctuary for families or those seeking a peaceful retreat. 3 spacious bedrooms, 2 wellappointed bathrooms and a generous living space that seamlessly blends functionality with contemporary design. A double garage provides secure parking and additional storage options, catering to all your needs. Enjoy relaxing by the sparkling inground pool.

Auction Thursday 30/1
Auction Thursday 30/1
Auction
Auction

Hervey Bay 4128 2188 357 Esplanade, Scarness rh.com.au/herveybay

1/36 Torquay Road, Pialba

132m2 For Sale

Shop 1/36 Torquay Road presents an enticing opportunity for investors with a long-standing tenant of over 37 years. Situated in Pialba’s heart, it benefits from substantial foot and car traffic, opposite Bay Plaza Shopping Centre housing Woolworths and other renowned stores. Property highlights include locked side gate access, full air conditioning, unisex accessible amenities, a kitchene e, storage room, front and rear parking, and security cameras covering all aspects of the premises. This 132m2 space offers stability with its established tenant.

View By Appointment

Price Contact Office Web rh.com.au/hervey bay/L26177741

200 Boat Harbour Drive, Pialba

345m2 For Lease

This newly built 345m² commercial space is available for lease in a prime location, ideally positioned between a pharmacy and a medical center. Situated opposite The Good Guys in the Spotlight complex, it offers an a ractive shop frontage with an open floor plan. High visibility and signage opportunities make this property stand out, with exposure to over 19,000 passing vehicles daily. A strategic choice for your business.

View By Appointment

Price Contact Office

Web rh.com.au/hervey bay/L30150673

3/65 Torquay Road, Pialba

This modern property boasts a generous kitchen with a building area of 161sqm, perfect for a variety of office uses. This property presents a fantastic opportunity for businesses looking for a professional and stylish office space. Don’t miss out on this rare find in the heart of Pialba - contact us today to arrange a viewing!

View By Appointment

Price

12 Toogoom Cane Road, Takura

48Ha of land STCA (subject to council approval) many opportunities can arise from a block of land this size.

• Are you in the building industry? Are you looking for domestic or commercial fill?

• Are you looking for a block of land to support your building or construction company?

• Are you a developer? Can you see any opportunity for this land either now or in the future?

This is a true opportunity, contact our office today and make an offer.

View By Appointment

Price Contact Office

Web rh.com.au/hervey bay/L31252702 For Sale

840m2 For Lease

Are you seeking the perfect location for your business? Look no further. This recently built 840m² open floor plan office space, ideally positioned within the new Spotlight shopping complex, is now available for lease. This commercial property offers exceptional visibility and signage opportunities, a racting over 19,000 vehicles passing daily. Don’t miss this opportunity to establish your business in a high-traffic area with outstanding exposure.

View By Appointment

Price Contact Office

Web rh.com.au/hervey bay/L30214026

Lot 12/40 Torquay Road, Pialba

Lot 13/40 Torquay Road, Pialba For Lease 47 m2

Prime Location! These office spaces are situated in the hub of a commercial/retail precinct, opposite the vibrant Pialba Shopping Centre on Torquay Road. These commercial office spaces feature air conditioning throughout, open area work space, kitchene e, glass frontage, rear off-street parking and signage provision. Your business will thrive in this sought after location.

View By Appointment

Price Contact Office

Web rh.com.au/hervey bay/L31770472 rh.com.au/hervey bay/L28224062 56 m2 For Lease

2/402 Esplanade, Torquay

228m2 For Lease

Prime retail site on the Esplanade at Torquay on a busy corner location surrounded holiday apartments, shops and across from the beach. 228m2 of space including a fully equipped commercial kitchen with good street appeal and accessible car parking. Ideal location for a restaurant or take away business. Contact us now for further information or to arrange an inspection.

View By Appointment

Price Contact Office Web rh.com.au/hervey bay/L19344791

200 Boat Harbour Drive, Pialba
22 / 835 BOAT HARBOUR DRIVE

Offers over $1,400,000 considered

16 SPENCE STREET, POINT

VERNON

MAGNIFICENT RENOVATED QUEENSLANDER

Welcome to 'Burnley', an absolutely stunning Queenslander residence16 Spence Street Point Vernon. This remarkable property, rich in history and brimming with charm, stands as one of Hervey Bay's oldest and most captivating homes to grace the market. Nestled in the sought-after area of Point Vernon, Burnley is positioned mere metres from the foreshore on a prime 1,129m 2 elevated allotment. Surrounded by beautifully maintained gardens and mature trees, the property enjoys a serene reserve directly across the road, enhancing its tranquil appeal.

• Modern Hamptons-style kitchen with a freestanding gas cooktop, electric oven, large island bench, and built-in hutch.

• Air-conditioned living and dining room adorned with stained glass windows, 9 foot bi-fold doors, plantation shutters, and a gas fireplace.

• Master bedroom offering enhanced privacy, air conditioning, ensuite and built-in

• Three guest bedrooms, each with ceiling fans and French doors opening onto the verandahs.

4 2 2 1129m2

• Hallway accentuated by a stunning stained-glass feature window.

• Main bathroom featuring a freestanding clawfoot bath and a separate toilet.

• Functional laundry with ample storage options. Sprawling front and back verandahs capturing sea breezed

• Sparkling inground magnesium pool complete with a gazebo.

• Under-house storage and two covered car spaces.

Offers over $1,099,000 considered

47 PULGUL STREET, URANGAN

COASTAL CHARM MEETS MODERN ELEGANCE

Step into a life of timeless charm and coastal bliss with this beautifully renovated 1960s Queenslander. Perfectly positioned just a short stroll from the Marina, vibrant cafes, restaurants, and boat launching facilities, this home offers a harmonious blend of convenience, character, and an enviable lifestyle. The home exudes classic Queensland style, featuring stunning timber K’Gari floors and timeless VJ walls that create a warm and inviting atmosphere. Indoor and outdoor spaces flow seamlessly, making the most of the property’s coastal location. Whether relaxing on the deck or the breezeway, you’ll enjoy refreshing sea breezes, soft natural light.

• Walking distance to Marina complex and Urangan Pier

• Classic Queensland Style, VJ Walls, and K’Gari timber floors

• Three bedrooms with built in robes, master bedroom with ensuite

• Separate fourth guest room, home office or studio.

• Newly renovated kitchen, induction cooktop and dishwasher

• Outdoor alfresco deck and undercover breezeway entertainment area

PRIME LOCATION, WALK TO BEACH, SHED SPACE GALORE

This beautifully renovated family home, offers an abundance of shed space and parking while being just 650m from the stunning Torquay Beach, cafes, restaurants, and shopping. The low-maintenance block provides ample room for all your vehicles, whether it’s a boat, caravan, family cars, or even a project car or hobby vehicle. For those who love to entertain, the property boasts a massive undercover entertainment area, perfect for relaxing with family and friends. Inside, the recently renovated home has been freshly painted throughout. The main bedroom has been transformed into a private retreat with the addition of an ensuite and a walk-in wardrobe. Two additional bedrooms feature built-in robes, while the family bathroom includes a double showerhead and has been thoughtfully designed to accommodate mobility needs. The spacious open-plan kitchen, dining, and living areas seamlessly connect to the outdoor entertainment space. When you’re not at the beach, enjoy the air-conditioned comfort indoors and appreciate the energy efficiency of the 7.7kW Fronius inverter, helping you say goodbye to high power bills.

• Only 650m to Torquay Beach

• 2190m2 low maintenance fenced block, auto gates

• Freshly painted throughout

• Newly renovated master bedroom with WIR and ensuite

• Air-conditioned – split systems, ceiling fans

• Renovated family bathroom with double shower head

• Spacious family kitchen with dishwasher and walk in pantry

• Massive undercover entertainment area 9mx5m epoxy oor and 75mm insulated roof

• 7.7kw Fronius invertor

• Four bay carport- high clearance 7.5m deep, perfect for boats and caravans

• 6.6x7.5 double garage, workshop area and toilet and shower.

• Additional carport for extra parking and three garden sheds for extra storage

3 1 7

PRIVATE, COASTAL LIVING, WALK TO THE BEACH

Discover the perfect lifestyle change in the highly sought-after residential area of beautiful Point Vernon with this immaculate low-set home. Featuring cathedral ceilings and freshly painted interiors, this property offers comfort, style, and practicality.

Boasting three bedrooms with built-in wardrobes and a versatile rumpus room that doubles as a sleepout for guests, this home is designed for family living. The refurbished kitchen includes a breakfast bar and additional space for dining or a cozy living area. The open-plan lounge and formal dining area, with stunning cathedral ceilings, provide a spacious and relaxing ambiance, complete with air-conditioning for year-round comfort. Live off the grid with new solar system and lithium battery set up. Step outside to a brand-new undercover entertainment area, lush lawns, and low-maintenance gardens. The property also features side access and a powered, air-conditioned shed – perfect for hobbies or extra storage. Conveniently located near shopping, the golf course, and the beach, this home offers both space and a central location.

• Three bedrooms with built-in wardrobes

• Versatile rumpus room/sleepout

• Split-system air-conditioning in living area and main bedroom

• Ceiling fans throughout

• Window and door security screens

• Refurbished kitchen with new sink, electric oven, and hotplate

• Electric hot water system

• New outdoor entertaining area

• Fully fenced with high privacy fencing, side access

• Air-conditioned shed (6m x 7.5m)

• 1,000L rainwater tank

• Live off the grid with New Solar System and Lithium Battery set up.

GREAT THREE BEDROOM HOME PLUS LARGE 9.5M X 6M SHED

• Three bedrooms complete with built-in robes

• Family bathroom with separate toilet

• Open plan living and dining areas

• Outdoor entertainment area

• 9.5m x 6m shed

• Additional carport

Located at 14 Areca Drive, Kawungan, this charming home presents a wonderful opportunity for families, investors, or renovation enthusiasts. Boasting three spacious bedrooms, a well-maintained bathroom, and a single toilet, the property provides comfortable living with an air-conditioned open-plan layout. The expansive 802m2 block offers excellent side access, ideal for parking additional vehicles or catering to outdoor activities. A highlight of the property is the impressive 9.5m x 6m powered shed, perfect for storage or as a workspace. The large outdoor entertainment area is perfect for gatherings or relaxing in the serene surroundings. Conveniently situated close to schools, shops, and essential amenities, this home combines practicality with potential. In good condition and ready to move in, it also offers exciting possibilities for extensions or renovations, making it a versatile choice for a variety of lifestyles and needs. So, make sure it is on your list to inspect! Call Terese or Michael at Prime Agents today. 3 1 3 14 ARECA DRIVE, KAWUNGAN

• Fully fenced 820m2 block

• Security screens and ceiling fans

• Close to local schools

• Conveniently located near major shopping centre

size: 820m2 OFFERS OVER $585,000 CONSIDERED Inspect By Appointment

CENTRALLY LOCATED PROPERTY

Nestled in a peaceful cul-de-sac, 10 Mackenzie Court offers a prime location close to both primary and secondary schools, just a short distance from the beach, golf club, and CBD. This charming property features three bedrooms, all with built-in wardrobes and air-conditioning, providing comfort year-round. Two spacious living areas also benefit from air-conditioning, while the large kitchen overlooks the dining and lounge areas, creating a seamless flow for daily living.

The home includes a convenient two-way bathroom with a shower, bath, and toilet, as well as an additional separate toilet for added practicality. Outdoor enthusiasts will appreciate the 6m x 6m powered shed and a carport attached to the side of the house, ideal for storing a caravan or boat. A private outdoor entertainment area adds to the home’s appeal, set within a fully fenced 671m2 block that boasts fruit trees and vegetable gardens.

Additional features include security screens throughout, a 1.5kW solar system with eight panels, and a

• Three bedrooms, all air-conditioned

• Two-way bathroom plus separate second toilet

• Large separate family room

• Large living and dining area

• Great size kitchen with generous cupboard space

• 6m x 6m shed and large carport – plenty of room for boat or caravan

• 1.5klw solar and 8 solar panels

• Fully fenced 671m2 block

• Security screens and ceiling fans throughout

• Convenient location close to schools, shopping and beach

12 SPINNAKER DRIVE, POINT VERNON

EASY POINT VERNON LIVING

This beautifully presented home in Vernon provides an excellent opportunity for those looking for a blend of modern comfort and peaceful living. Situated in a family-friendly street, it features a spacious and well-thought-out layout, 12 Spinnaker Drive should be on your list to inspect. The heart of the home is the large kitchen, which seamlessly flows into two central living areas, creating a perfect space for family gatherings or relaxed everyday living. The property offers four generously sized bedrooms, including a master suite with an ensuite for added privacy and convenience, as well as built-in robes in all rooms.

The outdoor space is just as impressive, with an undercover entertaining area that overlooks a fully fenced backyard, providing a private, tranquil setting for enjoying quiet moments with a low maintenance yard, complete with side access.

• Spacious, open plan living and dining area

• Air-conditioned living area

• Kitchen with electric stove/oven

• Four bedrooms with built-in robes and air-conditioning

• Main bedroom with ensuite

This home is the ideal combination of modern living, comfort, and a peaceful lifestyle, conveniently located in Point Vernon, you are just minutes away from the Esplanade, local schools, parks and shopping. To arrange a private inspection, contact Ash Heckels on 0418 986 867 inspection today. 4 2 2

Inspect By Appointment

• Separate laundry with great storage

• Undercover, outdoor entertainment area

• Ceiling fans throughout

• Double lock up garage

• Fully fenced 600m2 with side access

ocean view acreage FROM $365,000

High on the hill in the charming seaside village of Craignish you will fnd the perfectly positioned Sea Breeze Estate.

Ofering breathtaking ocean views, rural outlooks and fresh sea breezes each one of these incredible half acre land parcels are enhanced by the beauty of their natural surroundings.

Located just minutes away from the Craignish Shopping Village, which features a Foodworks Supermarket, medical centre and pharmacy. Or for those who enjoy an active lifestyle, the Craignish Golf and Country Club and the stunning beachfront are just down the road.

With gently undulating natural ground, Sea Breeze Estate provides versatile building options. Whether you build upwards to maximise the spectacular ocean views or prefer a more,

secluded private residence within the serene countryside. Each lot ofers ample space to create a home that perfectly suites your lifestyle, allowing you to enjoy the best of both worlds – peaceful rural living with modern conveniences close at hand.

Acreage properties located this close to town living are a rarity, don’t miss the opportunity to become a part of this exclusive Sea Breeze Estate community.

With limited lots available, now is the time to secure your place in this highly sought-after development.

Contact Don or Michael from Prime Agents today to learn more and take the frst step toward making your dream home a reality in this stunning seaside location.

www.seabreezeherveybay.com.au

19 South Spring Way, Nikenbah - The Springs

This exceptional, brand new home is located in the pretigious Springs Estate. If you are looking for luxury, space and a perfect lifesyle balance, you will fnd it here at 19 South Spring Way, Nikenbah.

• Potential for a shed & caravan

• Four generous sized bedrooms

• Stylish kitchen & open plan living

• Separate media room plus study nook

• Ducted air-con & ceiling fans throughout

• Large 900m² Block

CONTEMPORARY HOME IN PEACEFUL LOCATION

$1,100,000

Enjoy panoramic ocean views and spectacular sunsets from this whisper-quiet property.

The views of Coral Sea from your master bedroom, living spaces, entertaining deck and pool are quite simply beautiful. Set away from the road on a 2505m2 block in a quiet cul-de-sac, this lovely property is a haven you may find hard to leave.

With an open plan design, the heart of the home is the stylish kitchen with large island makes it perfect for casual family with high-quality appliances, sleek cabinetry and stone bench tops and walk-in pantry. The living areas with beautiful timber floors and filled with natural light, provides a cozy casual space to sit and relax.

The living zones flow out to the expansive north-facing deck with built-in kitchen, the perfect place for soaking up the beautiful outlook looking over the sparkling swimming pool - It’s hard to imagine a more idyllic spot to relax after a busy day.

There are three bedrooms plus a central study space, the main bathroom is a peaceful retreat with deep soaking tub, large shower and separate WC. Calming views from the large master bedroom with its ensuite and walk-in wardrobe, and sliding door access out to the pool.

The home fully embraces the coastal position with its integrated indoor/outdoor living and is designed for energy efficiency, with wonderful gentle breezes circulating throughout, a solar system, solar hot water, ceiling fans, and air-conditioning keeping the interior lovely and cool even on the warmest Queensland summer’s day.

Low maintenance landscape feature a mix of green lawns and gardens, the fruit trees all grow in abundance here with over 40 named mature fruiting trees. Additional features include a double lock-up shed, a separate air-conditioned office/ craft room, all situated on a private block at the end of a quiet cul-de-sac, ensuring privacy and peace.

Built eight-years ago the home has been meticulously maintained by its original owners; offered to the market for the first time, this will attract a high volume of interest for its coastal position and design. Be the first to act.

4128 6600

2 Ansons Road, Dundowran Beach www.rayedward.com.au

Your Gateway to Coastal Living – Hervey Bay Real Estate Experts

Tayla is a dedicated and experienced property manager with a passion for delivering exceptional service. With over 12 years in the industry, she has honed her expertise in managing a diverse range of properties, taking pride in her attention to detail, proactive approach and commitment to excellence.

When she’s not working, you can nd Tayla spending time with her family, reading a good book, camping and enjoying all the outdoors has to o er.

As a dedicated and detail-oriented property management assistant, I support the success of our property management team in Hervey Bay. With a strong background in administrative tasks, communication, and organization, I ensure seamless day-to-day operations, from coordinating maintenance schedules to handling tenant inquiries. Committed to delivering exceptional customer service and support, I play a key role in maximizing property value and owner satisfaction. Let me help you experience the di erence in property management.

With four years of experience in real estate property management, Brodie has successfully navigated the dynamic world of property ownership and tenant relations. Her role has encompassed everything from leasing agreements to property maintenance, ensuring that each property under her care operates smoothly and e ciently.

She strives to create a positive and thriving environment for both property owners and tenants alike.

When not working you will nd Brodie spending time with her four kids or at the netball courts where she is the vice president of Hervey Bay Netball.

As a dedicated and detail-oriented property management assistant, Mervyn supports the success of our property management team in Hervey Bay. With a strong background in administrative tasks, communication, and organisation, he ensures seamless day-to-day operations, from coordinating maintenance schedules to handling tenant enquiries. Committed to delivering exceptional customer service and support, Mervyn plays a key role in maximising property value and owner satisfaction. Let him help you experience the di erence in property management.

David is a dedicated property manager with a passion for delivering exceptional service. He brings experience in management and property management to the team. David takes pride in attention to detail, o ers a proactive approach to property management driven by his commitment and excellence.

With a strong background in management across the Fitness and Hospitality industries, Nikki is excited to take on a new challenge with Faunt Property Group, supporting the team as a Property Manager Assistant and embracing where this path takes her. She is organised, has great attention to detail, fantastic communication skills, and looks forward to bringing these key attributes across into property management.

Tayla King Of ce Manager
David Cockburn Property Manager

Trent and Karlie Faunt Principal/Owners

In 2024, Trent and Karlie acquired one of the Fraser Coast’s largest real estate o ces on the Fraser Coast, supported by a team with 40+ years of experience. Trent, who started his real estate career at 20, quickly expanded his business, merging two rms in Kingaroy. He was named a top 50 sales agent by Realestate.com in 2021. Karlie, a registered nurse at Hervey Bay Hospital for three years, brings her skills in customer care and communication to assist with daily operations and client services.

Leighee has a solid background in retail and hospitality, bringing a wealth of customer service experience to the real estate industry. As a proactive Property Manager Assistant, she has spent the past year honing her skills in real estate, building strong relationships with clients and ensuring their satisfaction. Excited to take the next step in her career as a Property Manager, Leighee is eager to leverage her previous experience and excel.

Kelsy Howarth

Kelsy is thrilled to embark on a new journey in property management. With experience in both reception and management it has provided her with a great foundation for property management. Kelsy has a strong commitment to landlord and tenant satisfaction and is eager to contribute to the smooth operation of property management while continuing to learn and grow in this dynamic eld.

Raised in Nanango, Roy developed strong values, starting his career in hospitality and gaining a deep understanding of customer service. In 2019, he moved to Hervey Bay and worked in construction, where his attention to detail led to a leading hand position. Transitioning to real estate, Roy combines his skills to ensure clear communication and exceptional service, guiding clients con dently through buying or selling.

Liana is a highly organised and detail focused accounts specialist, she manages the nancial backbone of our agency operations. With expertise in nancial analysis, budgeting and regulatory compliance she ensures accurate and timely nancial reporting, rent reconciliation and expense management.

Liana’s goal is to provide the agents, owners and tenants with exceptional nancial support, ensuring a seamless and pro table experience.

With over a decade of experience in the food service industry, I’ve seamlessly transitioned into the world of real estate, bringing with me a wealth of knowledge about customer service and local insights. My deep-rooted connection to Hervey Bay, where I’ve been a resident for over 25 years, allows me to o er a unique perspective on the area’s real estate market.

Kayla Neilsen- Behrens Business Development Manager

Kayla is a dedicated Business Development Manager, excelling in connecting investors with exceptional property management solutions. With her background in Law and Real Estate Kayla has a keen understanding of her clients’ needs and requirements. Kayla’s main focus is building trusting relationships and delivering value that goes beyond expectations maximising rental income and enhancing investors’ portfolios.

Liana Vermast Accounts
Roy Anderson Sales Agent
Leigh Thompson Abrahams Property Manager
Brad Mitchell Sales Agent

Located on 45 hectares of gently undulating land complete with sweeping vistas of the Great Sandy Strait and Fraser Island, Fraser Vista is arguably the best new water and island view address on the Fraser Coast..

Situated within close proximity to village shops, local schools and Hervey Bay town centre, this is the perfect time to embrace a sea change or start your retirement dream on the Fraser Coast.

• Blocks from 2,000m2 to 2,223m2

View the site at 62 Mahalo Road Booral (eastern end of Mahalo Road)

For more details or to arrange an inspection contact Rod Marks rod@markspartners.com.au 0408 619 491

Turn static files into dynamic content formats.

Create a flipbook
Issuu converts static files into: digital portfolios, online yearbooks, online catalogs, digital photo albums and more. Sign up and create your flipbook.