

Mon sang, ma santé
UnprogrammepharedeGuérirCanada
« Relier la santé avec la connaissance et les revendications »


Table des matières
Mot de l’équipe
Le Pourquoi ! Pourquoi mon sang, ma santé ?
Le sang, source de vie
Le sang, l'origine
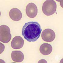
Qu’est-ce qu’une formule sanguine complète ?
Néoplasie myéloproliférative
Myélofibrose
Mastocytose systémique
Qu’est-ce que l’hémochromatose ?
Alliances et collaborations
Essais cliniques et enquêtes auprès des patients
Les partenaires
L’équipe de Mon sang, ma santé

Bienvenue au magazine Mon sang, ma santé
Bienvenue à notre premier numéro de Mon sang, ma santé, une publication numérique qui sert de phare à la défense des droits des patients. Dans cette édition, nous approfondissons les subtilités de la composition sanguine et soulignons l’importance des contrôles réguliers. Une simple analyse de sang peut souvent être la première étape dans la détection de maladies graves comme le cancer, ce qui fait des contrôles réguliers un élément crucial des soins de santé proactifs.
Avec ce magazine, nous visons à poursuivre la mission de Heal Canada visant à permettre aux patients d'accéder à des services meilleurs et équitables partout au Canada. Nous sommes profondément reconnaissants envers nos lecteurs pour leur intérêt et leur soutien continus. Votre engagement nous pousse à proposer un contenu perspicace et précieux pour encourager une approche centrée sur le patient dans les soins de santé.
Si ce n'est pas déjà fait, nous vous encourageons à vous abonner et à rester connecté au magazine numérique Mon sang, ma santé pour les prochains numéros, où nous continuerons à explorer des sujets qui comptent pour vous et la communauté des soins de santé.
Merci d'avoir participé à notre voyage et bienvenue dans ce numéro éclairant !
De votre équipe dédiée



Chied Responsable Scientifique Mon Sang, Mon Directeur de la Santé
Heal Canada est une organisation à but non lucratif enregistrée au Canada healcanadaorg
Avertissement : Le magazine numérique Patient Advocacy fournit des informations générales et des ressources pour promouvoir l'autonomisation et la sensibilisation des patients Le contenu ne remplace pas un avis ou un traitement médical professionnel Consultez toujours des professionnels de la santé qualifiés pour obtenir des conseils personnalisés concernant votre état de santé ou votre situation spécifique

Le Pourquoi !
Pourquoi mon sang, ma santé ?
Par Cheryl Petruk, soignante d'un patient atteint de néoplasme myéloprolifératif (MPN)
Monparcoursaveclesnéoplasmesmyéloprolifératifs(MPN)acommencénonpasentant que patient mais en tant que soignant Lorsqu’un proche a reçu un diagnostic de thrombocytémie essentielle, qui a ensuite évolué vers une myélofibrose, je me suis retrouvéànaviguerdansunpaysagedéroutantremplidejargonmédicaletd’émotions accablantes Cette expérience a déclenché en moi un profond besoin de créer quelque chose qui donnerait du pouvoir à d’autres soignants et patients confrontés à des défis similaires.
LaréalitédesMPN
Lesnéoplasmesmyéloprolifératifssontdescancersdusangraresquiaffectentlacapacité de la moelle osseuse à produire correctement des cellules sanguines. Alors que la thrombocytémie essentielle provoque souvent une surproduction de plaquettes, entraînant d'éventuels caillots sanguins, la myélofibrose peut provoquer de graves cicatricesdanslamoelleosseuse,affectantsacapacitéàproduiredescellulessanguines. Lesdeuxaffectionscomportentunrisquedetransformationenleucémieaiguë.
Le cheminement vers un diagnostic précis et un plan de traitement efficace peut être seméd’embûches.Entantqu’aidante,j’airessentilepoidsdel’incertitude,del’anxiétéet de la frustration liés à la complexité de comprendre la maladie, d’accéder à des informationsfiablesetdetrouverunecommunautédesoutien.
CréerGuérirCanada
J'ai fondé Heal Canada pour offrir soutien et conseils en réponse à ces défis. Ma vision étaitdecréeruneorganisationoùlespersonnestouchéesparlesMPNpourraienttrouver des ressources complètes, des expériences partagées et une communauté qui comprenait leur parcours. Notre objectif principal était de garantir qu’aucune personne confrontéeàcesmaladiesraresn’aitàyfairefaceseule.
Expansionau-delàdesMPN
Alors que mon parcours a commencé avec les NMP, j’ai réalisé que beaucoup d’autres étaient également confrontés à des défis liés à diverses hémopathies malignes. La leucémie,lelymphome,lemyélomemultipleetd’autrescancersdusangprésententleur propreensemblededifficultéscomplexesetuniquespourlespatientsetleurssoignants
Cesdéfisincluentsouventundiagnostictardif,desplansdetraitementspécialisésetdes conséquencesémotionnellesquimettentàrudeépreuveàlafoislespatientsetceuxqui s'en occupent Reconnaissant ce besoin plus large, Heal Canada a élargi son champ d'actionau-delàdesseulsNMPpourfournirunsoutienholistiqueauxpersonnesatteintes d'unegammed'hémopathiesmalignes.Chaquevoyageestunique,maisnouspartageons tous un terrain d’entente dans le besoin d’informations, de compréhension et de connexionaccessibles.
ProgrammeMonsang,masanté
DecettevisionestnéleprogrammeMyBloodMyHealth,uneplateformecentraleoùles patients et les soignants peuvent accéder à des informations précises, à des outils pratiquesetàunsoutienémotionnel
LeprogrammeauCanadacomprend:
Ressourcespédagogiques:nousorganisonsunecollectiondematérielpédagogique sur les NMP, permettant aux patients et aux soignants d'acquérir les connaissances nécessairespourplaiderenfaveurdemeilleurssoinsetprendredesdécisionséclairées Réseaux de soutien : connecter les patients à leur communauté appropriée pour obtenirdusoutienetdel'engagement
Initiatives de plaidoyer : Nous travaillons sans relâche pour sensibiliser aux NMP et autres hémopathies malignes, en plaidant pour de meilleures recherches, options de traitementetpolitiquesdesantéquiprofitentànotrecommunauté.Notreobjectifest d’autonomiser, d’impliquer et d’éduquer les patients et leurs écosystèmes, en leur donnantlaparoledansleurparcoursdesoinsdesanté.
Unmessaged'espoiretd'autonomisation
Grâce à Heal Canada et au programme My Blood My Health, j'espère transformer l'expérience des soignants et des patients de l'isolement et de la confusion à l'autonomisationetausoutien.NotreparcoursaveclesNMPnousamontréquemêmesi nous ne pouvons pas changer le diagnostic, nous pouvons choisir d'y faire face avec courage,empathieetdéterminationàfaireladifférence.
Ensemble, nous pouvons faire de ce voyage un voyage dans lequel chaque étape nous rapproched’unmondedanslequellesNMPsontmieuxcomprises,géréesetfinalement guéries.
Liens: Canada(anglais:https://www.mybloodmyhealth.ca)Canada(français: https://www.monsangmonsante)États-Unis: https://www.mybloodmyhealth.org



À p r o p o s
d u s a n g

p a r B r i g i t t e L é o n a r d , P h . D .

2min30s
Lesangestunsymbolepuissant,souventassociéàlavitalitéetàl’immortalité;ila inspiré de nombreuses histoires de vampires ou de quêtes du Saint Graal La légende de la comtesse Elizabeth Báthory, qui se serait baignée dans le sang des vierges pour conserver sa jeunesse, a inspiré de nombreuses histoires, reflétant notrefascinationdelonguedatepourlepouvoiretlemystèredusang Quecesoit dans les récits effrayants des films d’horreur ou dans les quêtes mythiques des épopées fantastiques, le sang continue de captiver notre imagination, servant de puissant symbole de l’essence de la vie. En traversant tout notre corps, le sang nourrit toutes les cellules de notre organisme en lui apportant les nutriments essentielsetl’oxygène
Les termes médicaux liés au sang commencent souvent par hémo- ou hématodu mot grec αἷμα (haima) pour « sang ». Le sang représente 7 % du poids corporel total Un adulte moyen contient 5 litres de sang Le sang circule dans les vaisseaux sanguins grâce à l’action de pompage du cœur. Chez les animaux dotés de poumons, le sang artériel transporte l'oxygène de l'air inhalé vers les tissus du corps.Lesangveineuxtransporteledioxydedecarbone,undéchetproduitparles cellules,destissusverslespoumons,oùilseraexpiré.
Quatre composants essentiels constituent le sang :
Plasma
Globules rouges (érythrocytes)
Plaquettes (Thrombocytes)
Globules blancs (leucocytes)
Plasma
Environ 55 % du sang est constitué de plasma sanguin, une substance qui constitue le milieu liquide du sang et qui est jaune paille Il s'agit d'une solution aqueuse contenant 92 % d'eau, 8 % de protéines plasmatiques sanguines et des traces d'autres matières. Le plasma fait circuler des nutriments dissous, tels que le glucose, les acides aminés et les acides gras (dissous dans le sang ou liés aux protéines plasmatiques). Il élimine les déchets comme le dioxyde de carbone, l’urée et l’acide lactique.

Globules blanches et plaquettes
Plasma
Globules rouges
Les globules rouges sont les cellules les plus abondantes du sang, représentant 45 % du volume sanguin (hématocrite). Les globules rouges matures n'ont pas de noyau, ce qui leur donne une forme concave. Les globules rouges contiennent principalement de l'hémoglobine, qui transporte l'oxygène et le dioxyde de carbone
L'hémoglobine a besoin de fer pour fonctionner correctement. C’est la raison pour laquelle une carence en fer peut provoquer une anémie. C'est l'hémoglobine qui donne au sang sa couleur rouge. Le sang est rouge vif lorsque son hémoglobine est liée à l’oxygène et rouge foncé lorsqu’il perd de l’oxygène.
Les plaquettes sont des fragments de cellules qui aident le sang à coaguler et à contrôler les saignements. Elles se rassemblent sur le site blessé, s'attachent au vaisseau sanguin et attirent d'autres plaquettes afin qu'elles puissent se connecter les unes aux autres pour boucher le trou Ils initient également le processus de coagulation et facilitent la cicatrisation des plaies.


Les globules blancs font partie du système immunitaire et aident votre corps à combattre les germes. Ils comprennent plusieurs types de cellules différents, qui contribuent tous à vous protéger contre les maladies.



Les neutrophiles constituent 60 à 70 % des globules blancs en circulation. Ils sont les premiers intervenants lorsqu’un agent pathogène est détecté ; ils préviennent les infections en ingérantetenlibérantdesenzymespourdétruirelesbactéries etleschampignonsenvahisseurs.
Les monocytes partagent la fonction « d'aspirateur » des neutrophilespourcombattrelesinfections,aideràéliminerles tissus endommagés et détruire les cellules cancéreuses. Néanmoins, ils peuvent également présenter des agents pathogènes aux lymphocytes pour stimuler la mémoire du système immunitaire, ce qui est essentiel pour améliorer la réponseaufildutemps.
Leslymphocytessontbeaucoupplusprésentsdanslesystème lymphatique que dans le sang. Il existe trois sous-groupes de lymphocytes.
Les cellules B fabriquent des anticorps contre les agents pathogènes pour bloquer l’invasion et faciliter leur destruction.
Les lymphocytes T détruisent les cellules présentant des molécules pathogènes et coordonnent la réponse immunitaire.
Les cellules tueuses naturelles peuvent détruire les cellules infectéesetcancéreusesquiéchappentauxcellulesT.

Les éosinophiles composent environ 2 à 4 % des globules blancs du sang circulant. Ils s'occupent principalement des infectionsparasitaires.Ilssécrètentdesproduitschimiquesqui détruisent les gros parasites, tels que les ankylostomes et les ténias, qui sont trop gros pour qu’un globule blanc puisse les ingérer. Les éosinophiles sont également les cellules inflammatoiresprédominantesdanslesréactionsallergiques.

Les basophiles, les globules blancs les plus rares (moins de 0,5 %), sont principalement responsables de la réponse allergique en libérant de l'histamine, qui provoque la dilatation des vaisseaux sanguins. Ils sécrètent également de l'héparine, qui inhibe la coagulation du sang. Les deux substances favorisent lemouvementd’autresglobulesblancsdansunezonedonnée
L e s a n g , l ' o r i g i n e
p a r B r i g i t t e L é o n a r d , P h . D .

2min30s

Les cellules sanguines ne sont pas éternelles. Ils ont tous une vie qui leur est propre.Certainspeuventsurvivrependantdesannéespourconserverlamémoire des agents pathogènes du passé et coordonner une attaque rapide et efficace en cas d’invasions répétées. Cependant, la plupart survivent de quelques heures à quelquesjours.
Comment pouvons-nous conserver la quantité précise de chaque cellule nécessaire pour faire face quotidiennement aux envahisseurs ? Cachée dans notre précieuse moelle osseuse, nous pouvons trouver la réponse. Il existe des cellules souches hématopoïétiques. Ces cellules souches ont deux belles capacités. Premièrement, ils peuvent rester immatures et se multiplier jusqu’à la fin des temps En outre, ils sont multipotents ; ils peuvent se transformer en tous typesdecellulessanguines:globulesrouges,plaquettesetglobulesblancs.
L'hématopoïèse décrit le processus de formation des cellules sanguines. Il s'agit d'un processus complexe régulé par de nombreux facteurs au sein de l'environnement de la moelle osseuse. La capacité des cellules souches hématopoïétiques à reconstituer les cellules sanguines tout au long de la vie d'un individu les rend attrayantes pour la recherche et les utilisations thérapeutiques danslestransplantations.
Aucoursdel'hématopoïèse,lescellulesmûrissent(sedifférencient)endeux groupes : myéloïdes ou lymphoïdes. Sur la figure 1, vous pouvez remarquer que les cellules progénitrices myéloïdes peuvent devenir des plaquettes et tous les globules blancs, à l’exception des lymphocytes. Le progéniteur lymphoïdegénèredeslymphocytes:cellulesB,cellulesTettueursnaturels. Vous pouvez également remarquer que certaines cellules matures peuvent devenird’autrestypesdecellules,commelesmonocytesetleslymphocytes B. Les monocytes circulent dans le sang et les macrophages résident dans les tissus sains adultes sensibles à l'invasion d'agents pathogènes ou dans les tissus malades. Les plasmocytes sont des lymphocytes B qui sécrètent une grande quantité de protéines appelées anticorps en réponse à un marqueurpathogèneappeléantigène.
o e l l e Cellules du système immunitaire



Ancêtre myéloïde commun







Cellules souches


Ancêtre lymphoïde commun












Si vous avez lu des articles sur le cancer du sang, vous avez peut-être remarqué des termes tels que cancer myéloïde, maladies myéloprolifératives ou myélodysplasie. Ces cancers impliquent des cellules du groupe myéloïde. Supposons que vous lisez des articles sur les lymphomes ou les cancers lymphoblastiques. Ces cancers impliquaient des cellules du groupe lymphoïde. Dans le tableau, vous trouverez quelques exemples de cancers du sang ou de troubles sanguins non cancéreux impliquant des cellules sanguines spécifiques.
Cellules Cancer
Cellules plasmatiques
Cellules B
Cellules T
Myélome multiple, magroglobulinémie de Waldenstrom
Leucémie lymphoïde chronique (LLC), leucémie lymphoblastique aiguë (LAL), lymphome hodgkinien et non hodgkinien, ...
Lymphome cutané à cellules T, lymphome extraganglionnaire à cellules T Lyphome anaplasique à grandes cellules
Maladie non cancéreuse
Amylose primaire
Maladies auto-immunes : sclérose en plaques, lupus, scléodermie, polyarthrite rhumatoïde
Déficit en lymphocytes T : immunodéficience combinée sévère, SIDA, syndrome d'Omenn
Plaquettes
Thrombocytémie essentielle
Globules rouges
Polyglobulie vraie
Thrombocytopénie immunitaire, maladie de Gaucher, syndrome de Bernard-Soulier, syndrome des plaquettes grises, ...
Anémie, drépanocytose, thalassémie,

Q u ’ e s t - c e q u ’ u n e F S C ?
p a r B r i g i t t e L é o n a r d , P h . D .
Les médecins peuvent demander une formule sanguine complète (FSC) pour surveiller l’état de santé général lors des examens annuels ou pour explorer les causes possibles des symptômes. Le FSC est un ensemble de tests qui fournissent des informations sur les cellules sanguines d'une personne.
Le FSC est souvent utilisé pour dépister des maladies, car des modifications dans de nombreux organes peuvent affecter le sang. La formule sanguine peut également aider à évaluer l’impact de certains médicaments. Cela se fait également avant les interventions chirurgicales pour minimiser les complications En raison de la quantité d'informations qu'il fournit, le FSC est l'un des tests médicaux les plus couramment effectués. Ce test est simple et inoffensif pour les patients, et son automatisation le rend rapide et peu coûteux.
Le FSC mesure les quantités de globules blancs, de globules rouges et de plaquettes. Le FSC mesure également les valeurs d'hémoglobine et d'hématocrite. Des indices supplémentaires de globules rouges – MCV, MCH et MCHC – qui décrivent la taille des globules rouges et leur teneur en hémoglobine, sont rapportés ainsi que la largeur de distribution des globules rouges (RDW), qui mesure la variation de la taille des globules rouges.
Les médecins peuvent également demander une analyse différentielle des globules blancs, qui compte tous les globules blancs par type. Ce test peut égalementinclureunenumérationdesglobulesrougesimmatures(réticulocytes).
Les valeurs anormales tomberont en dessous ou au-dessus des plages de référence. La plage de référence varie en fonction de l’âge, du sexe et de l’altitude au-dessus du niveau de la mer Chaque paramètre du FSC peut indiquer un problème possible qui nécessite une enquête plus approfondie. Dans le tableau 1, vouspouvezvoirquelquesexemplesdecausespossibles.
Tableau 1
Paramètres Plage de référence
Plaquettes 150 000 à 450 000
Globules blancs 4500 à 11000
Globules rouges
Hématocrite
Hémoglobine
M : 4,5 à 5,9 W : 4,1 à 5,1
M : 41,5 % à 50,4 %
F : 35,9 % à 44,6 %
M : 14 à 17,5 W : 12,3 à 15,3
VMC 80 à 96
Thrombocytopénie (tonalité des causes)
Leucopénie (infection, maladie de la moelle osseuse)
Anémie
Carence en fer
Anémie, hyperhydratation
Carence en fer, thalassémie
Thrombocytose (cancer du sang)
Leucocytose (inflammation, cancer du sang)
Leucémie
Déshydratation, cancer du sang
Déshydratation
Carence en vitamine B12 et folate
La combinaison des informations sur les paramètres du FSC peut aider à identifier les causes sous-jacentes et à améliorer les diagnostics. Par exemple, un faible taux d’hémoglobine, un faible hématocrite ou un faible nombre de globules rouges indiquent une anémie Cependant, l’anémie peut avoir plusieurs causes sousjacentes. La taille moyenne des globules rouges (MCV) peut fournir des informations supplémentaires pour préciser la cause de l’anémie et orienter l’intervention. Voir l'exemple illustré dans le tableau 2.
Tableau 2
MCV
Causes possibles de l'anémie à étudier plus en détail
Faible Carence en fer, thalassémie, anémie des maladies chroniques
Haut Alcoolisme, carence en folates et B12, maladie de la moelle osseuse
Normale Perte de sang aiguë, anémie hémolytique, maladie de la moelle osseuse


encourager les Canadiens à faire analyser leur sang chaque année
Mon sang, ma santé est une campagne de sensibilisation encourageant les Canadiens à prendre soin de leur santé sanguine lors de leur examen annuel.


Ancêtre myéloïde commun

Cellules souches M o e l l


Mégacaryocyte


Réticulocytes




Mastocytes




T i s s u S a Des globules rouges Plaquettes Monocytes Neutrophile Basophile Éosinophile

Macrophages

Cellule detritique myéloïde
C a n c e r s m y é l o ï d e s
N é o p l a s i e

2m15s
m y é l o p r o l i f é r a t i v e s p a r B r i g i t t e L é o n a r d , P h . D .

Les néoplasmes myéloprolifératifs (NMP) sont un groupe de cancers du sang rares dans lesquels la moelle osseuse produit un excès de globules rouges,deglobulesblancsoudeplaquettes;
Myelofaitréférenceàlamoelleosseuse;
Prolifératifdécritlacroissancerapidedescellulessanguines;
Le néoplasme, synonyme de cancer, décrit une croissance cellulaire anormaleetincontrôlée.
Le concept de maladie myéloproliférative a été proposé pour la première fois en 1951 par l'hématologue William Dameshek. Les NMP surviennent lorsquedescellulesdeslignéesmyéloïdesdelamoelleosseusedéveloppent desmutationsquientraînentleurcroissanceanormale.
Bien que considérées comme des maladies rares, les diagnostics de NMP sont en augmentation. L'identification récente d'une mutation comme marqueur MPN pourrait expliquer ce phénomène. De meilleures capacités de diagnostic, les causes sous-jacentes des maladies et l’accès à des traitementsplusefficacesaméliorentlasensibilisationauxmaladies.
La découverte de l'association des MPN avec le marqueur JAK2 en 2005 a stimuléledéveloppementd'untraitementcibléenuntempsrecord.Sixans seulement après avoir découvert la mutation principale de JAK2, la FDA a approuvé son premier inhibiteur de JAK2 pour traiter la myélofibrose, une sous-catégorie du MPN. Cet exemple prouve à quel point les progrès scientifiques récents peuvent avoir un impact positif sur les gens. Si on le compareàlaLMC,letraitementciblé,leGleevec,aétéapprouvéparlaFDA en2001,42ansaprèsladécouvertedesonanomaliegénétiqueen1959.
Contrairement aux cellules de la LMC, qui portent toujours le chromosome de Philadelphie, d’autres NMP peuvent être provoqués par différentes anomaliesgénétiques,cequirendlediagnosticplusdifficile.
Dans le tableau, vous trouverez quelques sous-catégories de MPN et quelques-unes de leurs caractéristiques basées sur la dernière publication del'OMS:
Sous-catégorie MPN Surnom
La leucémie myéloïde chronique LMC
Adnormalité génétique due
Chromosome de Philadelphie t(9;22)
Thrombocytopénie essentielle ET JAK2
Polyglobulie vraie PV JAK2
Myélofibrose MF
Leucémie neutrophile chronique LNC
JAK, CALR, TET2, MPL
CSF3R
Principales anomalies sanguines
Nombre élevé de neutrophiles, d'éosinophiles et de basophiles
Nombre élevé de plaquettes
Hémoglobine et hématocrite élevés
Anémie et nombre élevé de globules blancs
Nombre élevé de neutrophiles
p a r B r i g i t t e L é o n a r d , P h . D .

3min30s
La myélofibrose est un cancer rare caractérisé par une production anormale de cellulessanguines.Lacauseestunemutationdanslesprogéniteursmyéloïdesde la moelle osseuse. Dans la phase initiale de la maladie, la mutation crée une activation et une production incontrôlées de cellules sanguines Elle provoque également une inflammation anormale, favorisant la cicatrisation. La progression du tissu cicatriciel dans la moelle osseuse perturbe davantage la production de cellulessanguinesenforçantleurmigrationverslarate.Cettemigrationprovoque une hypertrophie de la rate, aggravant l’anémie et une production anormale de cellules sanguines. Comme tous les cancers, la progression est inévitable et caractérisée par davantage de problèmes sanguins. Lorsqu'ils sont correctement traités, les patients réalisent tous les symptômes liés à la maladie plutôt que la vieillesse.
Dansl’imageci-dessous,vousvoyezcequelespathologistesvoientaumicroscope lorsqu’ils observent des échantillons colorés de moelle osseuse myélofibrotique. Pour comparer, vous pouvez trouver un échantillon normal dans le petit carré en bas de l'image. Sur la première image, le nombre de cellules est anormal ; une imagetypiqueauraplusdebullesblanches(graisse)etmoinsdepointsrose-violet (cellules). Les lignes sombres de la deuxième image représentent les fibroses qui nedevraitenpasêtreaussiabondantes Latroisièmeimage,enbleu,représentele collagènequidevraitégalementêtremoinsabondant.



Les trois caractéristiques de la myélofibrose sont :
1- Rate hypertrophiée
2- Symptômes
3- Anémie et faibles taux de plaquettes
Normale NormaleQue signifie vivre avec la myélofibrose ?
Des symptômes épuisants et une mauvaise qualité de vie caractérisent la myélofibrose, affectant gravement les capacités professionnelles et la vie sociale des patients. Certains symptômes sont associés à une inflammation, tandis que d’autres sont associés à une hypertrophie de la rate. Une fièvre inexpliquée, des sueurs nocturnes et une perte de poids sont associéesàunesurvieraccourcie
La fatigue, la douleur et la dépression font partie des symptômes les plus fréquents et les plus gênants. Il est facile de sous-estimer la fatigue Tout le monde est fatigué ces jours-ci Nous travaillons trop, sommes stressés, dormons trop peu, etc. Cependant, pour les patients atteints de myélofibrose, la fatigue est profonde pour deux raisons importantes : l'anémie et l'inflammation.
L’anémie est bien connue pour être liée à la fatigue Cependant, ce qu’il faut comprendre, c’est que la production constante de messagers de l’inflammation détruit les systèmes immunitaire et neurologique. Dépression : avoir un cancer peut rendre tout le monde déprimé Cependant, dans la myélofibrose, la dépression est physiologique en raison des messagersdel’inflammation.
Anémie, inflammation
Démangeaiso n Inflammation
Fièvre Inflammation
Sueurs nocturnes Inflammation
Perte de poids Inflammation
Douleurs osseuses/ musculaires Inflammation
Douleur abdominale rate hypertrophiée
Satiété précoce rate hypertrophiée
Lorsque les patients reçoivent un traitement qui arrête la production de ces messagers, la plupart de leurs symptômes s’améliorent significativement, notamment la douleur et la dépression. La fatigue s'améliore également même chez les patients qui restent anémiques
Comment les patients seront-ils soignés en 2024 ?
La plupart des patients sont porteurs d’une mutation impliquant une voie d’activation centrale appelée JAK-STAT. Connaître le type de mutation impliqué est essentiel pour prédire la réponse au traitement et influencer les recommandations thérapeutiques Depuis 2012, Jakavi (ruxolitinib) est disponible au Canada pour traiter les patients atteints de myélofibrose. Jakavi agit comme un inhibiteur de JAK. Il s’agissait du premier traitement ciblant spécifiquement le coupable, révolutionnant le paradigme thérapeutique de la myélofibrose. Depuis lors, un autre inhibiteur de JAK, Inrebic (fedratinib), a été approuvé, offrant ainsi davantage d'options aux patients.
La plupart des patients traités par des inhibiteurs de JAK voient la taille de leur rate diminuer rapidement
L'image ci-contre montre un patient avant le traitement par ruxolitinib et après 72 semaines. La rate est passée de 319 à 127 millimètres.

La plupart des patients ont également constaté une amélioration de la plupart de leurs symptômes et ont retrouvé la vie
Dans la figure ci-contre, vous pouvez voir que toutes les barres vertes représentent un patient traité par ruxolitinib et que toutes les barres grises représentent un patient sous placebo. Alors que la plupart des patients sous placebo voient leurs symptômes s’aggraver, la plupart des patients sous ruxolitinib voient leurs symptômes s’améliorer.

Grâce aux médicaments, la plupart des aspects de leur vie se sont améliorés : global, physique, social, émotionnel et cognitif. Jakavi est utilisé depuis plus d'une décennie ; il devient évident que cela peut également prolonger la survie.
Limites actuelles du traitement. L'anémie et le faible nombre de plaquettes limitent l'utilisation des inhibiteurs de JAK car ils provoquent une anémie et une réduction des taux de plaquettes comme effet secondaire. Les médecins peuvent être réticents à les prescrire si les patients ont de faibles taux d'hémoglobine, car l'anémie et les transfusions sanguines ont de graves conséquences sur la survie et la qualité de vie des patients Même une anémie légère réduit l’espérance de vie de moitié, passant de huit ans à quatre ans. En outre, pour minimiser les effets secondaires, les médecins peuvent utiliser des doses plus faibles de Jakavi, ce qui aura un impact sur l'efficacité du traitement.
D'autresoptionssontenroute
Ilyadel’espoirpourlespatientsplusavancés.DeuxautresinhibiteursdeJAKsont désormais disponibles aux États-Unis : Ojjara (momelotinib) et Vonjo (pacritinib) Ojjara peut surmonter les problèmes liés aux patients souffrant d’anémie. Si les patients ont de faibles taux de plaquettes, Vonjo peut être l'inhibiteur de JAK de choix.
Ojjara inhibe le JAK comme les autres. Cependant, il inhibe une autre molécule liéeàl'anémiedanslamyélofibrose:l'ACVR1.Lapropriétéuniqued'Ojjarapermet un meilleur contrôle de la maladie. Par rapport aux autres inhibiteurs de Jak, les patients traités par Ojjara connaîtront une amélioration significative de leurs symptômesetuneréductiondelatailledelarate.Cependant,enprime,laplupart amélioreront leur état d’anémie et deviendront indépendants des transfusions. Devenir indépendant des transfusions améliore considérablement la qualité de vie Plusimportantencore,l’améliorationdustatutanémiquegrâceautraitement par Ojjarra est associée à une meilleure survie. GSK a soumis un dossier sur le momelotinib (Ojjarra) pour révision à Santé Canada. Santé Canada devrait rendre unedécisionfinaleen2024.Silemomelotinibestapprouvé,lacrinièredevrapeutêtreêtredifférentedecelled'Ojjara.Deplus,CADTHinvitelespatientsatteintsde myélofibrose à partager leur expérience avec la maladie et le médicament. Cet exercice est essentiel pour fournir une vision centrée sur le patient des besoins médicauxnonsatisfaits
Si vous souhaitez partager votre histoire et soutenir la soumission de CADTH, veuilleznouscontacteràadmin@healcanada.org

excessive de mastocytes anormaux.
Les mastocytes typiques sont impliqués dans les réactions immunitaires contre les allergènes. Lorsqu’ils sont activés, ils libèrent de l’histamine et de l’héparine dans leur environnement, créant ainsi des inflammations et des réactions allergiques Le mécanisme d’action de l’histamine peut expliquer la plupart des réactions physiologiques telles que l’enflure, les démangeaisons et la douleur lors d’une réaction allergique.


En raison du mécanisme d'action des mastocytes, les médecins prescrivent des produits antihistaminiques pour gérer les symptômes du SM. Ces produits sont utiles Cependant, les patients doivent les prendre continuellement à des doses plus élevées que celles recommandées pendant une période prolongée La plupart des patients s’inquiètent de l’impact à long terme de ce médicament, qui ne fait quegérerlessymptômessanstraiterlecancerensoi.
Avant 2016, les experts médicaux classaient SM comme MPN. Même si elle est désormais considérée comme une entité différente, la MS partage plusieurs caractéristiques avec d’autres NMP, telles que des symptômes débilitants et une mauvaise qualité de vie. Comme les MPN, le SM a un impact considérable sur les capacitésprofessionnellesetlaviesocialedespatients.
Les symptômes courants comprennent :
Fatigue*
Neurologique :
Maux de tête, brouillard cérébral*, difficultés de sommeil, anxiété et dépression
Oreille/nez/gorge/respiratoire :
Démangeaisons et congestion nasales, démangeaisons et gonflement de la gorge, respiration sifflante et essoufflement
PEAU:
Rougeurs, démangeaisons, urticaire et gonflement
Cardiovasculaire:
Étourdissements, douleurs thoraciques, rythme cardiaque rapide, changements de tension artérielle
Squelettique:
Douleurs osseuses et musculo-squelettiques
Gastro-intestinal :
Douleurs abdominales*, nausées, vomissements, diarrhée* et ballonnements
Anaphylaxie*

De plus, comme les autres cancers, le SM est représenté par un continuum allant de formes indolentes à des formes plus agressives. La rareté et la présentation clinique variable rendent le diagnostic du SM difficile. Les patients peuvent passer plusieurs années à se demander ce qui ne va pas chez eux (voir tableau 1) Les patients SM consultent généralement plus de cinq spécialistes avant d'obtenir un diagnostic précis. Les erreurs de diagnostic et les traitements inutiles sont fréquents. Dans certains cas tragiques, les patients sont orientés vers un psychiatre.
Tableau 1
Lespatientspeuventévoluerdeformesindolentesversdesformesplusagressives et mourir de cette progression. L'espérance de vie dépend de la forme diagnostiquée. Les patients présentant une forme avancée ont une espérance de vie inférieure à cinq ans Jusqu’à récemment, la communauté médicale pensait que la forme indolente de MS avait un impact minime sur l’espérance de vie
Cependant, des études plus récentes réfutent cette croyance et mettent en lumièrel’impactréeldecettemaladiesurtouslespatientsatteints.
Contrairement aux autres NMP, les patients atteints de SM présentent des réactions anaphylaxiques fréquentes et imprévisibles L’imprévisibilité est une préoccupation majeure pour la plupart des patients. Dans une enquête récente, 64 % des patients ont déclaré éviter de quitter la maison à cause du SM. (8) Cette peurn’estpassurprenantesil’onconsidèrecequipeutdéclencherunévénement : la chaleur, le stress, les changements de température, l’exercice, la nourriture et l’alcool,lesmédicaments,lesodeurs,lefroidetlespiqûresd’insectes(1,2).
Les patients demandent un traitement qui traite la maladie sous-jacente au lieu de les aider à gérer les symptômes. Récemment, l'avapritinib, un nouveau médicament contre la SM, a été soumis à Santé Canada pour approbation et à l'ACMTSpourremboursementpublic.
L'avapritinib offre de l'espoir aux patients atteints de mastocytose systémique
Sous le nom commercial Ayvakit, le produit est autorisé aux États-Unis depuis 2021pourlesformesavancéesdeSMeten2023pourlesformesindolentesdeSM. L'avapritinib est un inhibiteur sélectif d'une mutation (D816V) d'une protéine appelée KIT. La mutation appelée KITD816V est présente chez plus de 95 % des patientsSM Lestraitementssélectifsetcibléscommel’avapritinibontsouventun meilleurprofild’innocuitéquelachimiothérapietraditionnelle
Les études cliniques évaluant l'avapritinib dans le SM se sont révélées positives, démontrantquel'avapritinibestefficaceetsûrpourlespatients.Lesrésultatssont encourageants car la plupart des patients répondent au traitement même en cas d'échec du traitement précédent De plus, la réponse est rapide et durable L'avapritinib a démontré des propriétés modificatrices de la maladie et une améliorationdelaplupartdessymptômes.
Espérons que ce nouveau médicament sera bientôt disponible pour les patients canadiensatteintsdeSM.

T r o u b l e s
s a n g u i n s n o n c a n c é r e u x

Q u ' e s t - c e q u e l ' h é m o c h r o m a t o s e o u h é m o c h r o m a t o s e h é r é d i t a i r e ( H H ) ?
p a r l a S o c i é t é c a n a d i e n n e d e l ' h é m o c h r o m a t o s e
L'hémochromatose ou hémochromatose héréditaire (HH) est une maladie génétique qui affecte la capacité de l'organisme à réguler l'absorption du fer. S'il n'est pas traité, l'HH peut avoir des conséquences graves, provoquant une accumulation de fer dans divers organes et pouvant entraîner des pathologies potentiellement mortelles. Au Canada, l'HH est la maladie génétique la plus courante, touchant principalement les Caucasiens d'origine nord-européenne
Les symptômes courants incluent :
Fatigue chronique Douleurs articulaires (maladies des os et des articulations) Diabète sucré
Battements cardiaques irréguliers Antécédents familiaux de décès prématuré par insuffisance cardiaque Cirrhose Cancer du foie Modifications de poids Couleur de peau bronze ou grise
Hypothyroïdie Infertilité Impuissance
Hypogonadisme Dépression
Diagnostic
Un test sanguin de ferritine pourrait indiquer la présence d'une hémochromatose, car des taux élevés de ferritine dans le sang sont associés à des taux élevés de fer dans l'organisme. Cependant, les analyses de sang de routine peuvent ne pas inclure la vérification des taux de ferritine;

ilestdoncimpératifdedemanderspécifiquementcetest Lestauxdesaturationdela transferrineetlestauxdeferritinesériquepeuventégalementsuggéreruneéventuelle hémochromatose
Surlabasedesrésultatsdecestests,unmédecinpeutdemanderuntestgénétique,qui peutconfirmerouinfirmerlediagnostic.
Testgénétique
Lestestsgénétiquespeuventconfirmerouinfirmerlesmutationsgénétiquesassociéesà l’HHetconstituentdoncunoutildediagnosticefficace Cependant,ilestimportantde garderàl’espritquelestestsgénétiquessontunedécisionpersonnellequipeutavoirdes implications qui s’étendent au-delà de l’individu, jusqu’à la famille ou aux proches biologiques. Les services de conseil génétique sont disponibles sur recommandation d'unmédecindefamille.
Surveillance,traitementetentretien
Letraitementprincipaldel'HHconsisteenunprotocolededéferrageparlequell'excès de fer est éliminé par une procédure connue sous le nom de phlébotomie, le prélèvementdesang.Danslaphaseinitialedeceprotocole,desphlébotomiespeuvent êtrenécessairesuneàdeuxfoisparsemaine,selonlaquantitédeferstockéeetselonles recommandations de l'hématologue. À mesure que les niveaux se normalisent, les phlébotomies peuvent devenir aussi rares que trois ou quatre fois par an. Celles-ci peuvent survenir dans une clinique externe d'un hôpital ou dans un centre de don de sang.
Laphlébotomieestuntraitementtrèsefficacepourl'HH Desétudesmontrentqueles tauxdesurvieetlaqualitédevies'améliorentconsidérablementgrâceàlathérapiepar phlébotomie, même pour les patients ayant déjà subi des lésions organiques Pour les personnes diagnostiquées tôt, avant l’apparition des symptômes cliniques, la longévité est statistiquement la même que pour la personne moyenne sans HH (en l’absence d’autresfacteursderisquedemaladiedufoie,telsquel’alcoolismeoul’hépatite)
Lespersonnesatteintesd'HHdoiventinterrogerleurmédecinsurlagestiondescomplications,le dépistageducancerdufoie,l'évitementdessupplémentsdeferetlesvaccinationsappropriées contreleshépatitesAetB.
Don de sang
Les personnes atteintes d'HH qui sont par ailleurs admissibles peuvent devenir donneurs réguliers à la Société canadienne du sang (SCS) ou à Héma-Québec. Le don de sang peut être une solution confortable pour maintenir l’hémochromatose à vie et fournir du sang indispensable aux autres Canadiens
Les enfants et le risque
Il est rare qu’une surcharge en fer survienne chez les jeunes L’accumulation classique de fer HH est lente et prend 20 à 30 ans pour que les symptômes se manifestent Dans le même temps, les nouveau-nés et les nourrissons ont naturellement des taux de saturation en fer et de ferritine plus élevés.
Sensibilisationfamiliale

En raison de la nature héréditaire de l’HH, encourager les membres de la famille immédiateàvérifierleurtauxdeferconstitueunemesurepréventivesolide
ÀproposdelaSociétécanadiennedel'hémochromatose(SCH)
Fondée par Marie Warder en 1980, la Société canadienne de l'hémochromatose est une sociétécaritativeenregistréesansbutlucratif(#119219160RR0001).
La mission de la SCH est de promouvoir le diagnostic précoce de l'hémochromatose en sensibilisant le public, en informant la communauté médicale et en encourageant le dépistage précoce des populations à risque La SCH fournit du soutien et des informationsauxpersonnesetauxfamillestouchéesparunesurchargeenfer
Visitezwww.toomuchiron.capourensavoirplus!
Sociétécanadiennedel'hémochromatoseBureau285–7000, boulevard Minoru Richmond (ColombieBritannique) Canada V6Y 3Z5 Sans frais : 1-877-2234766Courriel:office@toomuchiron.ca

A l l i a n c e s e t
c o l l a b o r a t i o n s

Le GMPNSF fait partie de ces choses qui sont sorties de rien.
Au début de la crise du COVID, nous devions rester à la maison pendant de longues périodes et nous n’étions pas autorisés à sortir. Ce fut une période terrible, surtout quand on est continuellement habitué à se déplacer à travers le monde.
J'ai donc dû m'occuper et analyser ce que nous avions dans notre monde MPN : médecins, chercheurs, patients, pharmaciens, soignants, etc. J'ai analysé leurs activités et j'ai constaté qu'ils étaient tous très actifs, pour la plupart professionnels, mais tous travaillaient dans leur champ. Il y a eu peu ou pas de coopération ou de discussions entre les différents groupes.
J'ai décidé de créer une Fondation, qui devrait être une plateforme où les acteurs mentionnés précédemment peuvent se parler, expliquer leurs problèmes, leurs inquiétudes, leurs projets et, surtout, trouver des solutions. Je pensais que si nous voulons améliorer la qualité de vie des patients atteints de MPN, nous devons parler et agir davantage ensemble.
Au cours de la première année, il n’a pas toujours été facile de faire grandir la Fondation à partir de zéro, mais petit à petit, avec des petits webinaires, des tables rondes avec des patients et de nombreux entretiens, nous avons commencé à grandir et avons pu expliquer notre idée à tous les acteurs. Pour parvenir à une telle croissance, il faut être patient et comprendre les situations particulières des différents acteurs.
Le plus important est de se rappeler que ce que nous faisons est pour les patients et que nos activités doivent donc être orientées vers les patients. Ce n’est pas toujours facile, mais il a toujours été facile d’être patient.
L'année dernière, en septembre, le GMPNSF a organisé son Symposium annuel avec des patients, des médecins, des chercheurs et des représentants de l'industrie pharmaceutique dans notre salle, et nous avons agi comme une grande famille. Les réunions ont été très
Le premier objectif du projet a donc été atteint et nous organiserons bientôt notre 4e symposium hybride MPN Spring à Barcelone. Près de 50 personnes assisteront à la réunion et nous attendons avec impatience de finaliser des accords clairs et une meilleure compréhension mutuelle.
Beaucoup de travail nous attend encore. Les nouveaux traitements peuvent au moins chroniquer notre maladie comme cela a été possible dans le cas de la LMC et principalement améliorer la qualité de vie. Nous avons encore des symptômes qui changent la vie, comme la fatigue et les démangeaisons.
Jusqu'à présent, aucune industrie pharmaceutique n'a recherché un remède contre ces symptômes, qui représentent un lourd fardeau pour nous, les patients. Mais les douleurs osseuses, les sueurs nocturnes et la santé mentale sont également des problèmes aigus.
L'autre problème est que tous les hématologues ne sont pas des spécialistes du MPN. Nous manquons de spécialistes MPN et cela doit être amélioré. De nombreux médecins de famille ne connaissent pas notre maladie et n'envoient pasd'éventuelspatientsàl'hématologueouauspécialisteMPN.
Les données analytiques, telles que la charge allélique, qui ne sont pas appliquées dansdenombreuxpays,doiventêtreencoreaméliorées.
Malgré les défis, nous restons optimistes quant à l’avenir des soins MPN. Nous pensons que dans les années à venir, nous pouvons faire des progrès significatifs pour améliorer la qualité de vie des patients atteints de NMP. Nous sommes engagésdanscettecauseetytravailleronssansrelâche.
Pour plus d’informations sur la Global MPN Scientific Foundation, veuillez visiter www.gmpnsf.org.


Améliorer la vie des patients atteints de MPN La Global MPN Scientific Foundation (GMPNSF) est une organisation caritative à but non lucratif dédiée à l'avancement de la recherche et de la gestion des MPN. Notre objectif ultime est de sensibiliser, de faciliter la collaboration et d’améliorer la vie des personnes touchées par les NMP.
Notremission
ÀlaGlobalMPNScientificFoundation,nouscomprenonslesdéfisetleslacunesde lagestionactuelleduMPN,telsque:
Manque de sensibilisation et d’éducation parmi les patients, les médecins et les scientifiques
Accès limité à des tests et des soins spécialisés
Variabilité des critères de diagnostic et des directives de traitement
Données insuffisantes sur l’histoire naturelle et les conséquences du NMP
Disponibilité limitée de thérapies et d’essais cliniques efficaces
C'est pourquoi nous nous engageons à fournir une source d'informations soutenue par des professionnels, à créer et à animer une communauté MPN et à défendre les patients touchés par ce groupe rare de cancers du sang La Global MPN Scientific Foundation est dirigée par des bénévoles composés de patients MPN et de professionnelsdelasantéquipartagentcettevision.
Sur notre plateforme, vous trouverez un large éventail d'informations impartiales et médicalement étayées, notamment des dépliants, des newsletters et des forums où vous pourrez vous rencontrer et entendre parler des dernières recherches sur le NMP. Vous découvrirez également nos investissements dans la recherche et notre soutien aux essais cliniques. De plus, vous découvrirez comment nous développons des liens avec des groupes MPN du monde entier pour devenir plus visibles dans la défensedespatientsMPN
Nous vous invitons à nous rejoindre dans notre mission visant à améliorer la vie des personnes vivant avec le MPN. Que vous soyez un patient, un médecin ou un représentant pharmaceutique, vous trouverez des ressources précieuses et des opportunités de vous connecter avec d'autres personnes qui partagent votre intérêt pourleNMP.
Ensemblenouspouvonsfaireladifférence! www.gmpnsf.org.


Crééen2017,l'AcuteLeukemiaAdvocatesNetwork(ALAN)estunréseaumondialindépendant d'organisations de patients qui se consacrent à changer les résultats des patients atteints de leucémieaiguëenrenforçantladéfensedesdroitsdespatientsdanscedomaine Notrerôlechez ALANestd'aidernosmembresàsoutenirlespatientsetleursfamilles,àsensibiliserlapopulation à la leucémie et à mener le travail qui est mieux réalisé à l'échelle internationale, comme la génération de données et de preuves Toutes nos activités sont dirigées par les patients, collaborativesetfondéessurdesdonnéesprobantes
Quinoussommes?
Enmars2024,leréseaucompte56organisationsmembresissuesde52paysetestrégiparun comité de pilotage Tous les membres du comité directeur sont des dirigeants d'organisations nationales de patients se concentrant sur la leucémie et les cancers du sang de différentes régionsafind'assurerunereprésentationmondiale
Commenttravaillons-nous?
ChezALAN,noussommesconvaincusque:
Une forte collaboration entre les contributeurs d’un projet multipartite générera probablementdesbénéficespourtouteslespartiesimpliquées
Les points de vue des patients et de leurs défenseurs sont uniques Par conséquent, ils doivent être considérés comme des connaissances spécialisées complémentaires à celles d’autresexperts,dumondeuniversitaireetdel’industrie
Ainsi,nouscollaboronssurdiversprojetsavecl’industriepharmaceutique,d’autresorganisations depatients,dessociétésmédicales,deschercheurs,descliniciensetd’autresexperts
Qu'est-cequ'onfait?
1-Renforcementdescapacités:
En tant qu'organisation mondiale, une partie de notre travail consiste à aider nos membres à aiderlespatientsetleursfamillesdansleurpays.Nousleurproposonsuneformationcontinue sur le plaidoyer, la médecine et tout autre sujet pertinent à leur travail via des webinaires, une académieenligneetunprogrammededéveloppementdesdéfenseurs.
Nousavonségalementcrééuncentrederessourcesavecdumatérieldansdiversformats,prêts à être utilisés ou à traduire, afin que les membres puissent économiser du temps et des ressourcesencréantdesinformationspourleurorganisation.
2-Sensibilisation:
L’étudemondialequenousavonsmenéeamontréque:
85%despatientsatteintsdeleucémieayantparticipéàl’étudeontdéclaréqu’ilsnesavaient pasquelessymptômesqu’ilsprésentaientavantlediagnosticpouvaientêtredessymptômes deleucémie.
51 % des patients atteints de leucémie ayant participé à l’étude ont déclaré avoir été diagnostiquésgrâceàdestestspourautrechosequeleurleucémie.
Une partie de nos efforts consiste à sensibiliser le grand public aux symptômes de la leucémie ALAN mène une campagne annuelle appelée #BeLeukemiaAware, avec un pic d'activité pendant le Mois de sensibilisation au cancer du sang (https://bloodcancerawareorg/) et la Journée mondiale de la leucémie (https://fr.worldleukemiaday.org/). Notre message est le suivant : « N'ignorez pas les symptômes ; un diagnostic précoce sauve des vies. »

3- Plaidoyer fondé sur des données probantes :
En 2017, les patients atteints de leucémie aiguë avaient un mauvais pronostic (par exemple, la SG à 5 ans dans la LMA était inférieure à 20 %). Depuis lors, de nombreux changements ont été apportés à la manière dont la leucémie aiguë est traitée, avec de nombreuses nouvelles options.
Il était nécessaire de mieux comprendre la qualité de vie, les expériences et les préférences des patients atteints de leucémie aiguë et de leurs familles.
ALAN a mené diverses études, en utilisant des méthodologies validées et des méthodes statistiques pour garantir des preuves solides.
Notre travail a contribué à
Comprendre la qualité de vie des patients atteints de leucémie aiguë à différents moments du parcours du patient.
Recueillir des informations sur les expériences et perceptions vécues par les patients et leurs soignants.
Déterminez les priorités et les préférences de traitement des patients atteints de leucémie aiguë en ce qui concerne les résultats et les caractéristiques du traitement et explorez les compromis qu'ils sont prêts à faire
Les preuves générées nous aident, nous et nos membres, à mener des conversations avec diverses parties prenantes et à garantir que les voix des patients atteints de leucémie aiguë et de leurs familles soient entendues



Énoncé de missio

Know our Blood vise à améliorer les résultats en matière de santé et la qualité de vie des individus et des familles touchés par des troubles sanguins dans la communauté africaine et caribéenne grâce à une éducation, une autonomisation et un plaidoyer ciblés.
Énoncé de vision
Know our Blood envisage un monde dans lequel tous les individus, quelle que soit leur origine ethnique, ont accès à des soins de santé équitables et de haute qualité pour les troubles sanguins et s'épanouissent dans une communauté solidaire.
Promouvoir l'éducation en offrant des programmes de sensibilisation et d'information aux minorités visibles sur les divers troubles sanguins génétiquement répandus au sein de leurs ethnies, comme la drépanocytose, la thalassémie et l'anémie.
Promouvoir la santé en encourageant les dons de sang et de plasma parmi les personnes d'ascendance africaine, par le biais de promotions, de partenariats et d'autres activités connexes, afin d'améliorer la quantité de sang transfusable approprié accessible au public aux personnes souffrant de troubles sanguins au sein de la communauté africaine/antillaise.
Promouvoir la santé en offrant aux personnes et aux familles touchées par des troubles sanguins un accès à des services de soutien et à des ressources pour gérer et maintenir leur état de santé
Relever et prévenir les défis liés à l'accès aux soins de santé auxquels sont confrontées les personnes atteintes de troubles sanguins au sein de la communauté africaine/antillaise en plaidant pour un accès équitable aux services de santé, aux traitements et aux opportunités de recherche
Il existe souvent des disparités importantes en matière d’accès et de résultats aux soins de santé au sein des communautés minoritaires, y compris la population afroantillaise. Éduquer les individus sur les troubles sanguins héréditaires tels que la drépanocytose, la thalassémie et l’hémophilie, ainsi que sur les troubles acquis tels que le myélome multiple et le lymphome non hodgkinien. KYB vise à combler le déficit de connaissances, permettant à ces communautés de mieux comprendre leurs risques pour la santé et d'accéder à des soins appropriés
Dans le cadre d'une nouvelle initiative audacieuse visant à lutter contre les disparités en matière de santé au sein des communautés africaines et caribéennes, Know Your Blood (KYB) a lancé ses opérations en tant qu'organisation à but non lucratif dédiée à la sensibilisation aux troubles sanguins et à la promotion des dons de sang et de plasma.
KYB a une mission claire : responsabiliser et éduquer la communauté afro-antillaise sur les troubles sanguins, encourager les dons de sang et de plasma et plaider pour un accès équitable aux ressources de santé et aux services de soutien KYB sert de voix vitale pour les personnes d'Afrique et des Caraïbes souffrant de troubles sanguins, en favorisant la sensibilisation et en facilitant les références vers des centres d'excellence
Les initiatives de KYB seraient globales et se concentreraient sur plusieurs thèmes critiques, notamment les expériences vécues, l'accès aux soins, les barrières culturelles, les relations patient-prestataire, la stigmatisation et la santé mentale En s'associant à d'autres affiliés à travers le Canada, KYB améliorera collectivement l'accès aux soins et la qualité de vie des personnes touchées par des troubles sanguins
Promouvoir le don de sang
KYB reconnaît les obstacles historiques qui ont contribué aux disparités en matière de santé et aux hésitations concernant le don de sang au sein de la communauté africaine/antillaise. En favorisant la confiance et en favorisant l’inclusion, KYB s’efforcera d’améliorer les résultats en matière de santé et de garantir un approvisionnement en sang diversifié et suffisant pour toutes les communautés. Encourager les dons de sang et de plasma au sein de la communauté africaine/antillaise est un objectif principal de KYB. Seulement environ 1 % des donneurs de sang canadiens sont originaires d’Afrique/des Caraïbes, bien que ce groupe représente environ 4 à 5 % de la population totale.
Il est crucial d’augmenter les dons de ces communautés, car l’origine ethnique peut avoir un impact significatif sur l’efficacité des transfusions sanguines et des traitements pour certaines maladies KYB vise à lutter contre la méfiance historique et les idées fausses concernant le don de sang grâce à des programmes ciblés d’éducation et de sensibilisation
Efforts de collaboration
KYB collaborera largement avec les prestataires de soins de santé, les organisations communautaires, les agences gouvernementales et les parties prenantes pour tirer parti des ressources et de l'expertise Ces partenariats contribueront à amplifier les efforts de KYB en matière de sensibilisation, de facilitation des dons et de plaidoyer en faveur de changements politiques qui soutiennent les personnes atteintes de troubles sanguins Par exemple, KYB a l'intention de travailler avec la Société canadienne du sang pour organiser des collectes de sang du don de sang

Stratégies et objectifs
KYB a défini des stratégies claires pour réaliser sa mission :
1. Sensibiliser : KYB vise à sensibiliser à divers troubles sanguins par le biais de campagnes éducatives, de sensibilisation communautaire et de ressources en ligne.
2. Promouvoir les dons : KYB encourage les dons de sang et de plasma de la communauté africaine/antillaise en organisant des collectes de sang et en s'associant avec des organisations.
3. Fournir un soutien : KYB offre des services et des ressources de soutien, notamment des conseils et des groupes de soutien aux personnes et aux familles touchées par des troubles sanguins.
4. Plaider pour l'équité : KYB plaide pour un accès équitable aux services de santé, aux traitements et aux opportunités de recherche.
5. Collaborer et s'associer : Avec les prestataires de soins de santé, les organismes communautaires et d'autres parties prenantes, KYB travaille à lutter contre les troubles sanguins et à promouvoir l'équité en santé
6 Mesurer l'impact : KYB surveille et évalue en permanence l'impact de ses programmes, en collectant des données sur les taux de dons, l'engagement communautaire et les résultats en matière de santé
Engagementcommunautaireetéducation
KYBengagelacommunautéàtraversdiversévénementsetateliersconçuspour éduqueretsensibiliser Ceux-ciinclus:
Ateliersetséminaires:Organisationdeséanceséducativesavecdesconférenciers invitéset
professionnelsdelasanté
Événementscommunautaires:participationàdesfoiresetàdesfestivalssurlasanté pourentrerencontactaveclesmembresdelacommunauté.
Campagnessurlesréseauxsociaux:utiliserlesplateformesdemédiassociauxpour partagerdesinformationset interagiravecunpublicpluslarge.
Collaborationsenmatièredesoinsdesanté:partenariatavecdesprestatairesde soinsdesantélocauxpourpromouvoirlesdonsdesangetproposerdesexamensde santégratuits.
Rejoignez-nous
KYBinvitelesindividus,lesprofessionnelsdelasanté,lesdirigeantscommunautaireset lesorganisationsàrejoindrecettemission.Ensemble,nouspouvonstravailleràréduire lesdisparitésenmatièredesantéetàaméliorerlesrésultatspourlespersonnesatteintes detroublessanguinsdanslacommunautéafricaine/antillaise.Qu'ils'agissed'undonde sang,debénévolatousimplementdefairepasserlemessage,chaquecontribution contribueàcréerunavenirplussain

Pourplusd'informationssurlafaçondontvouspouvezvousimpliquer,envoyezun e-mailàknowyourblood2024@gmail.comousuivez-noussurlesréseauxsociaux: Instagram:@Knowyourblood; TikTok:connaissez.votre.sang
Ensemblenouspouvonsfaireladifférence

E s s a i s c l i n i q u e s e t e n q u ê t e s


mon sangmasante.ca
monsangmasante.ca
Enquête sur la qualité de vie
Enquête sur la dépendance transfusionnelle



Ressources

Partenaires de soins
Vous êtes partenaire de soins d'un patient ? Visitez notre site Web pour découvrir des ressources qui peuvent vous aider à aider votre patient à avoir une meilleure qualité de vie avec son diagnostic, et trouvez des ressources qui peuvent vous aider en tant que partenaire de soins. Visitez www.healcanada.org



Ressources pour les parties prenantes
Visitez notre site Web à www.healcanada.org pour obtenir les ressources nécessaires pour vous aider à travailler avec des groupes de défense.
Rejoignez le conseil consultatif des patients de Mon sang, ma santé
Faites partie du Conseil consultatif Mon sang, mes ressources en santé. Fournir une rétroaction continue sur les questions pertinentes à la défense des droits des patients au Canada. Nous recherchons des patients, des partenaires de soins et des avocats généraux
Envoyez vos informations à : Admin@healcanada.org ou visitez notre site Web et remplissez notre formulaire de candidature et découvrez plus de détails sur l'engagement de temps requis.



Faites inscrire votre organisation de défense des patients dans Mon sang, ma santé, afin que les patients et leurs partenaires de soins puissent vous trouver !
Les partenaires






Mon sang, ma santé et Pat ADV Hub aux États-Unis se sont lancés dans un voyage collaboratif visant à révolutionner le domaine de la défense des droits des patients en AmériqueduNord.Cepartenariatpionnierrassembledeuxorganisationsinfluentesdepays voisins,combinantleurvasteexpertiseetleursressources.
L’objectifestd’élargiretd’améliorerl’accèsauxinformationsessentiellespourlesdéfenseurs des patients, en garantissant que les individus à travers le continent reçoivent le meilleur soutienetlesmeilleursconseilspossiblesdansleurparcoursdesoinsdesanté
En comblant le fossé entre les défenseurs des soins de santé au Canada et aux États-Unis, cette alliance promet de favoriser une communauté de défenseurs des droits des patients plusinformée,plusautonomeetplusconnectée,contribuantainsidemanièresignificativeà l'améliorationdesexpériencesdesoinsdesantépourd'innombrablespersonnes.
email: patadvhub@gmail.com

Mon sang, mon équipe de santé
Brigitte Léonard, Ph.D.

BrigitteLéonardestladirectricescientifiquedeMonsang,masanté,un organismeenregistrésansbutlucratifquiprôneunaccèséquitableàdes soinsdesantédequalitépartoutauCanada.Elleaeuleprivilègede travaillerdanslesecteurpharmaceutiquependantplusde20ans, contribuantainsiàproposerdestraitementsquichangentlaviedes patientsselonlesnormeséthiqueslesplusélevées.Ellesouhaite désormaispartagersesconnaissancesetutilisersescompétences scientifiques,stratégiquesetencommunicationpouraiderla communautédespatients.
Elleaobtenusondoctorat ensciencesbiomédicalesdel'Universitéde Montréalen2003.Sesrecherchesdoctoralesontétémenéessousla directionduDrDenis-ClaudeRoyauCentrederechercheGuy-Bernierde l'HôpitalMaisonneuve-Rosemont Elleadéveloppéuntestdiagnostique quantitatifdulymphomenonhodgkinienetaévaluélapertinencedece marqueurdansl'évolutiondupatient
Cheryl Petruk, MBA B.Mgt.

CherylA.Petrukestuneprofessionnelleauxmultiplesfacettesdontla carrières'étenddeladéfensedespatients,desaffairesetdel'éducation postsecondaire,démontrantsadéterminationàavoirunimpact significatifdanschacundecesdomaines.
LatransitiondeCherylversladéfensedesdroitsdespatientsaété motivéeparunepassionissuedesasituationfamilialeetparun engagementprofondàgarantirlesdroitsdespatientsetl'accèsaux soins Cherylatravaillésansrelâchepourcomblerlefosséentrele systèmedesanté,lespatientsetlesacteurspharmaceutiques,enveillant àcequelavoixdespatientssoitentendueetqueleursbesoinssoient satisfaits Sontravailconsisteàcollaboreraveclespartiesprenantesetles organisationsdedéfensedespatients,àfairepressionpourquelepatient soitcentréetàfournirunsoutienetdesconseilsauxpatients L'approche empathiquedeCheryletsondévouementàladéfensedesdroitsontfait d'elleunefigurerespectéedanscedomaine,admiréeparlespatients,les professionnelsdelasantéetsescollèguesdéfenseurs
Cheryldirigeetestégalementmembreprincipalducorpsprofessoralde CACHEducation,PatientAdvocacyTraining.