El Dentista Moderno Nº 98

Page 50


www.eldentistamoderno.com

ENTREVISTAS

• Dr. Eduardo Montero, profesor en la UCM

• Dr. José Montes, cirujano maxilofacial en Clínica MAEX Cuevas Queipo

• Dres. Rui Figueiredo y Octavi Camps Font, Profesores agregados de la Universitat de Barcelona

• Dra. Agurne Uribarri, presidenta de SECIB

MULTIDISCIPLINAR

PERIODONTITIS Y ENFERMEDADES

SISTÉMICAS

ORTODONCIA

RESTAURACIÓN

D4.0

INSIDE THE CLINIC

Clínica Dental Alqalat

ENTREVISTA

Fundación Fenin

GESTIÓN DE CLÍNICAS

OPINIÓN

@eldentistamoderno @eldentistamoderno

Siguiendo la evolución de la Odontología para el profesional del sector llamado a construir el futuro

PRETTAU® SKIN®

Imagina poder resolver màs del 9 0 % de tus casos clínicos con solo dos líneas de implantes y la misma plataforma protésica ( 3,5 mm)

¿Todo con una única plataforma?

Sí, 3 , 5 mm de simplicidad y máxima versatilidad.

Y además...

Reduce el número de componentes protésicos. Optimiza la inversión.

Simplifica el protocolo clínico.

sumario

8

10

14

EDITORIAL

Cuando la ciencia une y reúne

22

24

32

Por Emi Rodríguez Charmes, directora de Dentista Moderno y D4.0.

ENTREVISTA

“El reto está en integrar la periodoncia dentro de un enfoque verdaderamente holístico de la salud”

Dr. Eduardo Montero, profesor en la UCM y coordinador de la Alianza por la Salud de SEPA

ORTODONCIA - SPARK - ORMCO

Alineadores y microtornillos para el manejo de una clase II con mordida abierta y canting: reporte de un caso clínico

Autora: Dra. Montserrat Puigpinós Saronella

REPORTAJE

Straumann Live Summit 2025

MULTIDISCIPLINAR - SECIB

Abordaje ortodóncico-quirúrgico de canino incluido palatino: caso clínico con fenestración abierta

Autores: I. Bardina-Lamelas, K. Sebti, E. Delgado-Molina, M. García-García, A. Sánchez-Torres, R. Figueiredo y E. Valmaseda-Castellón

ENTREVISTA - MAEX

“El implante subperióstico tendrá un papel importante y cada vez mayor en tratamiento de atrofias y en rescate de procedimientos implantológicos previos”

Dr. José Montes, cirujano maxilofacial en Clínica MAEX Cuevas Queipo DM

38

48

PERIODONTITIS Y ENFERMEDADES SISTÉMICAS - SEPA

El conocimiento sobre la asociación entre periodontitis y enfermedades sistémicas, ¿ya mejora la vida de nuestros pacientes?

Autores: Dres. Miguel Carasol y David Herrera

ENTREVISTA

“La cirugía guiada dinámica X-Guide® permite a odontólogos noveles colocar implantes con la precisión de un experto”

Dr. Rui Figueiredo, Profesor agregado de Cirugía Bucal - Universitat de Barcelona, y Dr. Octavi Camps Font, Profesor agregado de Periodoncia - Universitat de Barcelona

54

ORTODONCIA Y RESTAURACIÓN - ALIGN

De la alineación a la restauración: flujo orto-restaurador inmediato con iTero Lumina

Autor: Dr. Didier Delmas

62

64

ENTREVISTA - ZIRKONZAHN

Odontología mínimamente invasiva: ¿por qué es necesaria y cuáles son los últimos avances?

Dr. Carlo P. Marinello, Profesor Emérito desde 2015 en la Facultad de Odontología de la Universidad de Basilea

RESTAURACIÓN - ZIRKONZAHN

Veneers No Prep Prettau® Skin® en Prettau® 4 Anterior® Dispersive®

Autor: Alexander Lichtmannegger

Descubre el ecosistema digital de Dentsply Sirona.

La unión perfec ta entre clínica y laboratorio

sumario

68

ENTREVISTA

“La cirugía bucal tiene un gran futuro por delante y depende de cada uno de nosotros que ese futuro sea sólido, coherente y centrado en el paciente”

Dra. Agurne Uribarri, presidenta de la Sociedad Española de Cirugía Bucal (SECIB)

72

MULTIDISCIPLINAR - MEDICALFIT

De Medicalfit a Medicalfit 3 High Speed

Autores: Dr. Justo Martínez Balaguer, Dr. Tal Grauer, Pablo Rodríguez y Pedro Perales

80 REPORTAJE

Congreso Ibérico Nobel Biocare 2025

102 EVENTOS Y CONGRESOS

 SEPES Bilbao 2025

 SEI Toledo 2025

 XXX Congreso Nacional de SESPO

 IV Congreso de Alineadores y Nuevas

Tecnologías de SEdO

105

ACTUALIDAD DEL SECTOR DENTAL

110 NOVEDADES

Equipamiento, instrumental y material protésico, dental y clínico

84

D4.0

INSIDE THE CLINIC

Clínica Dental Alqalat

88

94

ENTREVISTA

“La incorporación ética y segura de la IA en las tecnologías sanitarias es esencial para seguir transformando de forma eficaz nuestro sistema sanitario”

Raquel Navarro, gerente de la Fundación Fenin, y Ángela Paredes, patrona del Sector Dental en la Fundación Fenin

GESTIÓN DE CLÍNICAS

Mentalidad deportiva para odontólogos, una práctica clave para el bienestar personal

Autora: Dra. Alba Sánchez

98

100

OPINIÓN

Más allá de los dientes: la responsabilidad del odontólogo ante la respiración oral

Por: Dra. Núria Noguerón Dorca, autora de “Una mosca en mi barriga”

OPINIÓN

La revolución en la odontología

Por: Iñigo Murga Gandasegui

Foto portada: LionFive / Pixabay

SIRIOS X3 STRAUMANN TM

Captura la excelencia

staff

eldentistamoderno

Número 98 - Noviembre 2025

Siguiendo la evolución de la odontología

DIRECTORA

Emiliana Rodríguez Charmes emi.rodriguez@eldentistamoderno.com

SUBDIRECTORA

Beatriz Suárez de la Vega beatriz.suarez@eldentistamoderno.com

REDACCIÓN Y FOTOGRAFÍA

Departamentos propios Versys Ediciones Técnicas

COMITÉ CIENTÍFICO

Javier de la Cruz, José Nart, Jesús Daniel Parejo, Juan López Palafox, Miguel Burgueño, Juan Manuel Vadillo, Guillermo Galván, Rafael Martínez de Fuentes, Anna Ramiro, Carlos Repullo, Leticia Rodríguez, Marta Revilla, José María Malfaz, Eva Mª Martínez y Eva López de Castro

DISEÑO Y MAQUETACIÓN

Manuel Beviá

DIRECTORA COMERCIAL ÁREA DE DISTRIBUCIÓN

Mercedes Álvarez mercedes.alvarez@versysediciones.com

DIRECTORA DE CUENTAS DM

Emiliana Rodríguez Charmes emi.rodriguez@eldentistamoderno.com

Impresión: Gama Color

ISSN: 2340-9703

Depósito Legal: M-33444-2013

ISSN (internet): 2340-9797

Versys Ediciones Técnicas S.L. Invierno, 17 28850 Torrejón de Ardoz (+34) 912 972 000 administracion@versysediciones.com

CEO

José Manuel Marcos Franco de Sarabia

DIRECTORA DE OPERACIONES

Esther Crespo

DIRECTOR DE EXPANSIÓN Y DESARROLLO

José Manuel Marcos de Juanes

Copyrigth Versys Ediciones Técnicas S.L. La suscripción a esta publicación autoriza el uso exclusivo y personal de la misma por parte del suscriptor. Cualquier otra reproducción, distribución, comunicación pública o transformación de esta publicación sólo puede ser realizada con la autorización de sus titulares. En particular, la Editorial, a los efectos previstos en el art. 32.1 párrafo 2 del vigente TRLPI, se opone expresamente a que cualquier fragmento de esta obra sea utilizado para la realización de resúmenes de prensa, salvo que cuente con la autorización específica. Diríjase a CEDRO (Centro Español de Derechos Reprográficos) si necesita fotocopiar, escanear, distribuir o poner a disposición de otros usuarios algún fragmento de esta obra, o si quiere utilizarla para elaborar resúmenes de prensa (www. conlicencia.com; 917021970/932720447)

Las opiniones y conceptos vertidos en los artículos firmados lo son exclusivamente de sus autores, sin que la revista los comparta necesariamente.

Premio de Comunicación SECIB 2019

EASE CLASS

En seco o en húmedo: mecanizado de bloques para todos.

Iniciación sencilla a la producción Chairside.

Restauraciones dentales de primera clase, ¡sin complicaciones! Con la E4 de la serie vhf EASE CLASS, podrá fresar y tallar de forma rápida y sin esfuerzo todas las indicaciones habituales con calidad de laboratorio. La E4 funciona perfectamente con todos los escáneres intraorales y aplicaciones CAD. Puede instalarse en cualquier sala de tratamiento para realizar sus restauraciones directamente en la consulta, justo donde se necesitan. ¿Cómo es posible? Gracias a que no requiere aire comprimido, lo que incluso le ha valido el German Innovation Award de oro. Más información en: vhf.com

CUANDO LA CIENCIA UNE Y REÚNE

Octubre, como nos tiene acostumbrados, ha sido un mes intenso para la odontología española. Un mes en el que la profesión ha vuelto a encontrarse cara a cara, en congresos que han llenado auditorios de los que desde Dentista Moderno hemos sido testigo y celebramos el éxito de estas citas que han marcado el calendario: Sepes Bilbao, con su enfoque interdisciplinar e innovador; SEI Toledo, que mostró los avances más recientes en implantología; SEdO Zaragoza, que confirmó el vigor de la ortodoncia española; y Sespo Madrid, donde la prevención volvió a situarse en el centro de la salud bucodental.

Estas reuniones reflejan la madurez de un sector cohesionado, en evolución constante, abierto al conocimiento, la tecnología y la colaboración. La calidad de los programas científicos, el nivel de los ponentes y la participación de la industria confirman que la odontología española vive un momento de proyección, también a nivel internacional.

Parte de ese prestigio se apoya en su base científica y formativa. La inclusión de 21 investigadores españoles en el Ranking mundial de Stanford, con nombres tan reconocidos como los Dres. Eduardo Anitua, Mariano Sanz o David Herrera, entre otros, demuestra el posicionamiento como referentes globales de la investigación odontológica.

Y mientras celebramos estos logros, nuestra mirada se dirige hacia el calendario con las próximas reuniones de noviembre: Secib Madrid, Sepa Barcelona, Seoene Sevilla. Citas que seguirán reforzando el nivel y el prestigio de la Odontología en nuestro país.

Dentista Moderno acompaña en noviembre a los profesionales con una edición especialmente completa. Contamos con entrevistas al Dr. Eduardo Montero, que plantea la necesidad de integrar la periodoncia en un enfoque holístico de la salud; el Dr. José Montes, que anticipa el creciente papel del implante subperióstico; y los Dres. Rui Figueiredo y Octavi Camps, que nos presentan resultados sobre el estudio de la cirugía guiada dinámica. Todo ello junto con interesantes casos clínicos, artículos, reportajes y cobertura de congresos, actualidad y novedades.

Además, presentamos el Suplemento Monográfico de Nobel Biocare , una empresa con una trayectoria de más de seis décadas de innovación en implantología. Incluye la entrevista a Vasco Afonso, director regional de Iberia para la compañía, junto con una serie de artículos clínicos que repasan los grandes avances de la implantología moderna.

Esta nueva línea de publicaciones que ofrecemos desde nuestras páginas, representan un espacio de encuentro entre la ciencia, la práctica clínica y la industria.

Deseamos que disfruten de la lectura de esta edición, con la misma sensación que nosotros, la de que la odontología española avanza con paso firme.

Emi Rodríguez Charmes
Directora de Dentista Moderno y D4.0

“EL RETO ESTÁ EN INTEGRAR LA PERIODONCIA DENTRO DE UN ENFOQUE VERDADERAMENTE HOLÍSTICO DE LA SALUD”

Dr. Eduardo Montero Solís, periodoncista, profesor en la Universidad Complutense de Madrid, investigador especializado en la relación entre salud periodontal y enfermedades sistémicas como la diabetes, y coordinador de la Alianza por la Salud de SEPA

Desde su perspectiva como periodoncista, docente e investigador, el Dr. Eduardo Montero Solís, coordinador de la Alianza por la Salud de SEPA, destaca en esta entrevista el papel estratégico de la clínica dental y de sus profesionales como agentes clave en la prevención de enfermedades sistémicas, un cambio de paradigma que convierte a la odontología “en un auténtico agente de salud pública”. El Dr. Montero Solís apuesta por una profesión en la que la clínica, la investigación y la divulgación queden integradas “con un impacto real tanto en los pacientes como en la comunidad científica”.

 DM.- Su amplia trayectoria está muy vinculada a la Universidad Complutense de Madrid (UCM), donde se ha formado, ha investigado y actualmente ejerce como docente. ¿Qué significa para usted seguir creciendo profesionalmente en una institución que ha marcado cada etapa de su carrera?

Dr. Eduardo Montero Solís (Dr. E.M.S.).- Seguir vinculado a la Universidad Complutense de Madrid supone, para mí, una experiencia profundamente enriquecedora. Esta institución no solo ha sido el lugar donde me formé como clínico e investigador, sino también el espacio en el que he podido crecer profesional y personalmente. Haber transitado desde estudiante a docente e investigador me permite valorar con más perspectiva la importancia de la docencia universitaria y del contacto diario con las nuevas generaciones de odontólogos. La UCM me ha brindado oportunidades únicas para desarrollar líneas de investigación de impacto y, al mismo tiempo, para mantener un fuerte vínculo con la práctica clínica, lo que enriquece mi labor académica y refuerza el compromiso con la excelencia y la innovación.

 DM.- Desde hace años desarrolla su labor clínica centrado en la periodoncia y los implantes. ¿Cuáles son actualmente los mayores retos en el manejo periodontal de pacientes con enfermedades sistémicas como la diabetes?

Dr. E.M.S.- Los retos actuales en el manejo periodontal de pacientes con enfermedades sistémicas, como la diabetes, son múltiples y complejos. Por un lado, tenemos la necesidad de personalizar los tratamientos, teniendo en cuenta que la respuesta inflamatoria y la cicatrización en estos pacientes suelen estar comprometidas. Y por otro, se requiere una coordinación más fluida con los equipos médicos, ya que la salud periodontal puede influir en el control metabólico de los pacientes con diabetes, y viceversa. A esto se suma la necesidad de mejorar la educación del paciente: empoderarlo para que entienda la importancia de mantener su salud oral como parte de su bienestar general. En definitiva, el reto está en integrar la periodoncia dentro de un enfoque verdaderamente holístico de la salud.

 DM.- Su investigación ha girado en torno a la interacción entre la salud oral y el estado metabólico. ¿Cómo valora el papel de la consulta dental en la detección precoz de patologías como la diabetes o la hipertensión?

Dr. E.M.S.- El papel de la consulta dental en la detección precoz de enfermedades como la diabetes o la hipertensión es cada vez más relevante. En este sentido, tanto el Dr. Miguel Carasol, como yo mismo, estamos muy implicados en la iniciativa PromoSalud. El odontólogo, por la frecuencia con la que ve a sus pacientes, tiene una posición privilegiada para identificar signos tempranos que pueden pasar desapercibidos en otros contextos sanitarios. Mediante la historia clínica, la evaluación de factores de riesgo y, en algunos casos, pruebas complementarias sencillas, podemos derivar al paciente a su médico de cabecera para llevar a cabo el diagnóstico definitivo. Esto convierte a la odontología en un auténtico agente de salud pública y refuerza la idea de que nuestra labor trasciende lo estrictamente bucodental.

 DM.- Como uno de los impulsores del proyecto PromoSalud, ¿qué aprendizajes ha dejado esta iniciativa y cuál es su potencial para transformar la consulta odontológica en un espacio de promoción de salud general?

Dr. E.M.S.- PromoSalud ha sido una iniciativa muy inspiradora, porque ha puesto de manifiesto que la consulta dental puede ser un entorno de promoción de salud integral. A través de este proyecto aprendimos que, con herramientas sencillas y protocolos bien definidos, es posible aprovechar la

visita al dentista para intervenir en la prevención de patologías tan prevalentes como el tabaquismo, la obesidad, la diabetes o la hipertensión arterial. Su potencial transformador radica en que convierte al odontólogo en un agente activo de la salud general, lo que aumenta el valor social de nuestra profesión y nos conecta con las necesidades reales de la población.

 DM.- Ha recibido premios de SEPA, de la International Association of Dental Research (IADR) y de otras instituciones por sus trabajos de investigación. ¿Qué importancia tienen estos reconocimientos en el impulso de la carrera investigadora de un joven clínico-académico como usted?

Dr. E.M.S.- Los premios y reconocimientos, como los de SEPA o la IADR, tienen un doble valor. Por un lado, suponen un estímulo personal y profesional, un recordatorio de que el esfuerzo y la dedicación dan frutos. Pero, más allá de lo individual, son también una forma de visibilizar la importancia de la investigación en odontología y su contribución al bienestar general. Para un joven clínico-académico, estos reconocimientos abren puertas, generan redes de colaboración y ayudan a consolidar líneas de trabajo que de otro modo serían más difíciles de sostener. Es importante resaltar que estos premios, aún individuales en ocasiones, reflejan el buen hacer de todo un grupo de investigación y, como decía, también contribuyen en sí mismos a la difusión de las actividades del grupo.

“ El papel de la consulta dental en la detección precoz de enfermedades como la diabetes o la hipertensión es cada vez más relevante ”
El Dr. Eduardo Montero junto a Emi Rodríguez, Directora de Dentista Moderno y D4.0, en un momento de la entrevista.
Estamos ante una nueva era en la que el dentista se integra como un actor clave dentro del sistema de salud ”

 DM.- Además de su labor asistencial y docente, usted es el secretario del grupo de trabajo con la Sociedad Española de Diabetes (SED). ¿Qué valor aporta la colaboración entre sociedades médicas y odontológicas para el avance de la salud interdisciplinar?

Dr. E.M.S.- La colaboración entre sociedades médicas y odontológicas es, en mi opinión, un pilar fundamental para avanzar hacia un modelo de salud verdaderamente interdisciplinar. En el caso concreto de la relación entre periodoncia y diabetes, el trabajo conjunto con la SED ha permitido crear sinergias que se han traducido en la participación en proyectos de investigación (ej. Di@bet.es, PREDAPS), la confección de simposios tanto en las reuniones anuales de SEPA como de SED, e incluso en la confección de un grupo de trabajo europeo en el marco de la European Association for the Study of Diabetes (EASD), donde tuvimos una sesión muy relevante en su último congreso en Viena. Además, también se han llevado a cabo numerosas acciones en materia de divulgación, generando una mayor sensibilización en la población y un reconocimiento más amplio del impacto de la salud oral en la salud general. Estas alianzas favorecen la investigación traslacional y, lo más importante, se traducen en beneficios tangibles para los pacientes.

 DM.- El concepto de “medicina periodontal” cada vez está más presente en los congresos y guías clínicas. ¿Estamos ante una nueva era en la que la odontología se posiciona como agente clave en la prevención de enfermedades sistémicas?

Dr. E.M.S.- El concepto de “medicina periodontal” (o “Periodoncia Médica”, como le gusta denominarlo

al Dr. Miguel Carasol) refleja un cambio de paradigma que está consolidándose. Cada vez existe más evidencia de que las enfermedades periodontales no son problemas aislados de la boca, sino que forman parte de un entramado complejo de salud general. Esto coloca a la odontología en una posición estratégica: somos capaces de prevenir y tratar patologías orales que tienen repercusiones sistémicas y, a la vez, podemos colaborar en el control de enfermedades como la diabetes o las enfermedades cardiovasculares. Estamos, efectivamente, ante una nueva era en la que el dentista se integra como un actor clave dentro del sistema de salud.

 DM.- Desde su papel como ponente en congresos internacionales y plataformas de formación continuada, ¿qué importancia tiene la divulgación de calidad en la actualización del clínico? Y ¿cuáles son los formatos que más valora?

Dr. E.M.S.- La divulgación científica rigurosa es esencial para mantener al clínico actualizado en un entorno donde la evidencia evoluciona con gran rapidez. Considero que la clave está en combinar el rigor académico con la accesibilidad del mensaje, de modo que la información llegue de manera clara y aplicable a la práctica diaria. En cuanto a formatos, los congresos presenciales siguen teniendo un valor insustituible por la interacción humana, pero la formación online, a través de webinars, podcasts o cursos interactivos, ha democratizado el acceso al conocimiento y nos permite llegar a más profesionales de manera flexible y continua. Incluso, pese a que estén generalmente denostadas, hasta las redes sociales pueden ser un excelente medio para acceder sobre todo a las generaciones más jóvenes. El problema no está en el canal, sino en la rigurosidad del mensaje. Ciertamente las redes no pasan por el filtro por el que lo hacen otras vías de difusión, como es el caso de las revistas científicas, pero hasta ante las publicaciones científicas es importante mantener un espíritu crítico fundamentado.

 DM.- Como coordinador del Máster de Periodoncia e Implantes en la UCM, ¿cuáles son actualmente las competencias imprescindibles para ejercer una periodoncia moderna y basada en la evidencia?

Dr. E.M.S.- La periodoncia moderna exige un perfil de competencias amplio. No basta con dominar las técnicas quirúrgicas y no quirúrgicas: el

periodoncista debe tener una sólida base en biología, capacidad crítica para interpretar la evidencia y habilidades comunicativas para establecer una relación efectiva con el paciente. La gestión interdisciplinar de casos complejos con otros compañeros y la capacidad de integrar la salud oral dentro del estado general del paciente son también imprescindibles. Finalmente, destacaría la importancia de mantener una actitud de aprendizaje permanente, porque la especialidad está en continua evolución.

 DM.- Además de todo lo mencionado anteriormente, ejerce en la práctica privada desde su clínica dental. En este sentido, ¿cuáles son los principales desafíos que percibe en el día a día con los pacientes?

Dr. E.M.S.- Mi práctica privada es un tanto particular, pues es de dedicación exclusiva a la periodoncia y los implantes dentales. En este sentido, y en relación con los pacientes, los principales desafíos se centran en transmitirles tranquilidad y hacerles ver que, en la mayor parte de los casos, sus problemas tienen solución. En ocasiones, los pacientes llegan con una visión muy centrada en la estética o con ideas preconcebidas, y nuestra labor es educarles sobre la importancia de la salud periodontal como base de la salud bucodental y de cualquier otro tratamiento. Otro reto es la adherencia a los programas de mantenimiento, ya que el tratamiento eficaz de la periodontitis requiere de constancia y compromiso por parte del paciente. Gestionar esa dimensión motivacional y educativa es tan importante como el propio tratamiento. Por último, en relación con los compañeros referidores, esta modalidad de trabajo es ciertamente muy enriquecedora, pues la mayor parte de las veces hablamos de tratamientos complejos en los que también es importante saber comunicar la planificación y resultados esperados a los otros especialistas, aprendiendo también de ellos.

 DM.- ¿Qué aspectos considera prioritarios para mejorar la prevención y el acceso a tratamientos periodontales en la población española?

Dr. E.M.S.- Desgraciadamente y como sabemos, la mayor parte de los tratamientos odontológicos no están incluidos dentro de las prestaciones del sistema público de salud. En este sentido, desde el grupo de trabajo SEPA-SED, los Dres. David Herrera, Mariano Sanz y yo mismo, confeccionamos un documento de “llamada a la acción” a las autoridades sanitarias para ampliar la prestación de servicios, de modo que incluyeran el tratamiento periodontal al menos para ciertos colectivos de riesgo, como pueden ser los pacientes con diabetes, entre otros.. Por último, considero prioritario fomentar la investigación en salud bucodental desde las instituciones públicas para orientar las políticas sanitarias con datos sólidos.

 DM.- Finalmente, y bajo una visión integradora de la clínica, la investigación y la docencia, ¿cuáles son sus principales líneas de trabajo actualmente y qué retos profesionales se plantea a medio plazo?

Dr. E.M.S.- Ciertamente mi actividad investigadora siempre ha sido muy diversa. Desde la evaluación de terapias coadyuvantes al tratamiento periodontal, como los probióticos, al vínculo de la periodontitis con diferentes enfermedades sistémicas como la diabetes, las enfermedades neurodegenerativas o las enfermedades cardiovasculares. También he trabajado en la confección de diferentes algoritmos para el cribado de formas avanzadas de periodontitis, tanto a partir de factores de riesgo cardiometabólicos como de cuestionarios sobre periodontitis autorreferida. En lo que respecta a la terapéutica de implantes, mi actividad ha estado centrada en la evaluación de diferentes biomateriales tanto para la regeneración ósea (i.e. sustitutos óseos, membranas) como para el aumento de tejidos blandos alrededor de implantes a través de sustitutos. En la actualidad, tras recibir una beca de la Fundación Osteology, me encuentro coordinando un ensayo clínico sobre el cambio de fenotipo concomitante con las corticotomías en pacientes en tratamiento de ortodoncia. En paralelo, sigo muy implicado en la docencia, formando a nuevos dentistas y periodoncistas con una visión crítica y multidisciplinar.

A medio plazo, mi reto es consolidar un modelo de ejercicio profesional que integre la clínica, la investigación y la divulgación, con un impacto real tanto en los pacientes como en la comunidad científica. 

“ Considero prioritario fomentar la investigación en salud bucodental desde las instituciones públicas para orientar las políticas sanitarias con datos sólidos ”

ALINEADORES Y MICROTORNILLOS PARA EL MANEJO DE UNA CLASE II

CON MORDIDA ABIERTA Y CANTING: REPORTE DE UN CASO CLÍNICO

El manejo de las maloclusiones de Clase II esqueléticas con mordida abierta ha representado históricamente uno de los mayores retos en ortodoncia, dado su carácter complejo y las limitaciones de los enfoques convencionales. En este artículo se presenta un caso clínico de mordida abierta asociada a Clase II esquelética, desviación mandibular y canting, tratado con éxito mediante la combinación de alineadores transparentes y microtornillos de anclaje temporal. Este caso ilustra cómo el uso combinado de alineadores y microtornillos permite abordar con éxito maloclusiones esqueléticas complejas, ofreciendo tratamientos efectivos, predecibles y estables en tiempos clínicos reducidos.

Las maloclusiones de Clase II y las mordidas abiertas representan dos de los desafíos más frecuentes en la práctica ortodóncica. Tradicionalmente se han considerado maloclusiones de difícil resolución, lo que ha llevado a proponer enfoques terapéuticos más invasivos, como la extracción dental o incluso la cirugía ortognática en determinados casos. Sin embargo, la evidencia reciente muestra que, en ausencia de alteraciones faciales significativas, es posible alcanzar resultados satisfactorios mediante abordajes menos invasivos. En este contexto, los alineadores transparentes, combinados con el uso de microtornillos de anclaje temporal (TADs), han demostrado ser una alternativa eficaz y estética, capaz de ofrecer tratamientos cómodos para el paciente, con tiempos de tratamiento reducidos y una elevada predictibilidad de resultados. Estas técnicas permiten no solo la corrección de discrepancias dentarias, sino también la modificación de los planos oclusales, lo que posibilita abordar maloclusiones complejas como las clases II y las mordidas abiertas con una estabilidad a largo plazo.

Reporte de un caso clínico

Etiología y diagnóstico

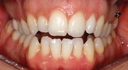
Se presenta el caso clínico de un paciente femenino de 36 años cuya principal preocupación era mejorar la función y la estética. El paciente no presentaba antecedentes médicos de interés.

1. Análisis extraoral:

 Patrón dólicofacial.

 Tercio inferior aumentado.

 Desviación de la mandíbula al lado derecho.

 Sonrisa gingival.

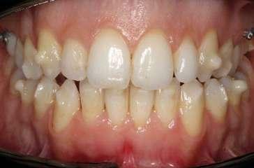
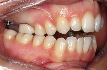
 Perfil convexo de clase II. (Imagen 1)

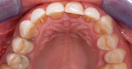
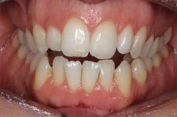
2. Análisis intraoral:

 Clase II molar y canina, completa del lado derecha y parcial en lado izquierdo.

 Mordida abierta anterior de premolar a premolar.

 Línea media inferior desviada 4 mm a la derecha.

 Compresión bimaxilar, con inclinaciones negativas en los sectores posteriores, más acentuados en el segundo y cuarto cuadrante debido a las compensaciones por la desviación mandibular al lado derecho.

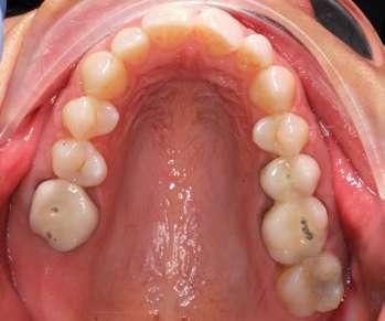
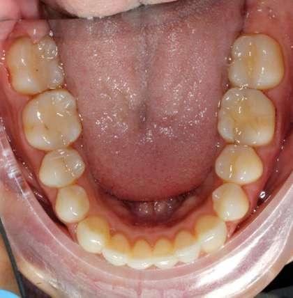
 Apiñamiento anterior. (Imagen 2)

3. Análisis radiográfico y tomográfico:

 Patrón dólicofacial.

 Clase II esquelética, postero-rotación mandibular.

 Mordida abierta esquelética.

 Desviación mandibular al lado derecho.

 Canting maxilar con menor dimensión vertical en lado derecho.

 Hiperdivergencia de planos oclusales superior e inferior

 Doble plano oclusal superior.

 Plano oclusal superior posterior inclinado. (Imagen 3)

Plan de tratamiento y progreso

Objetivos del tratamiento:

1. Objetivos dentales:

 Expandir ambas arcadas.

 Corregir inclinaciones negativas compensatorias posteriores.

 Distalar parcialmente primer cuadrante (dejando clase II parcial para permitir anterorotación mandibular).

 Intrusión posterior.

 Ligera extrusión incisivos inferiores.

 Nivelar y alinear ambas arcadas.

2. Objetivos esqueléticos:

 Solucionar la mordida abierta corrigiendo la divergencia de los planos oclusales superior e inferior.

 Corregir el canting maxilar.

 Favorecer anterotación mandibular.

Planificación virtual (Approver):

 Derotación del 1.6, seguida de distalización secuencial 1/3 del primer cuadrante, simultánea con nivelación de incisivos superiores.

 Expansión superior y retracción de incisivos, aplicando hipercorrección del torque radículo-palatino del sector anterior durante la retracción.

 Intrusión posterior mayor en segundo cuadrante para corrección del canting.

 Expansión coronal en arcada inferior.

 Nivelación incisivos inferiores con Ipr inferior para corrección de Bolton.

 Salto virtual con anterotación y centrado mandibular. (Imagen 4)

Anclaje:

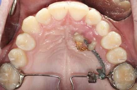
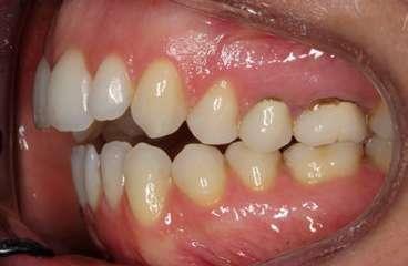
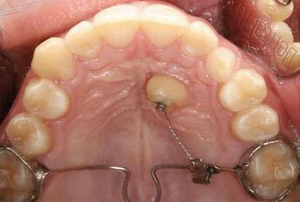
En este caso aparte del anclaje intrarcada, nos ayudamos de: un microtornillo colocado en la cara oclusal distal de 1.6, para unir 1.6 a microtornillo mediante cadeneta y así aumentar la predictibilidad de la distalización e intrusión del primer cuadrante y poder hacer una secuencia más rápida. En el segundo cuadrante colocamos dos microtornillos: uno por vestibular entre 2.5-2.6 y otro por palatino entre 2.6-2.7 para que el paciente pudiera colocar un elástico por encima del alineador y así aumentar la predictibilidad de la intrusión del segundo cuadrante. Además pedimos al paciente que colocara elásticos de clase II anclados a Hooks integrados para favorecer la antero-rotación y centrado mandibular. (Imágenes 5 y 6)

Dra. Montserrat Puigpinós Saronella

Licenciada en Odontología por la Universidad de Barcelona (2003-2008).

Máster Ortodoncia por la Universidad de Barcelona(2009-2011).

Máster Oficial de Investigación en Ciencias Odontológicas por la Universidad de Barcelona (2011).

Máster ATM impartido por el Dr.Slavicek en la Universidad de Viena (2014).

Máster de Ortodoncia en disfunciones Craniofaciales impartido por el Dr. Sado Sato en Universidad de Viena(2014-2016).

Profesora del Máster de Ortodoncia de la Universidad de Barcelona (2014-actualidad).

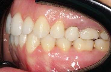
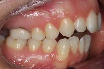
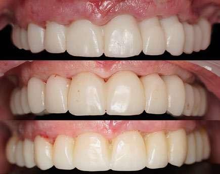
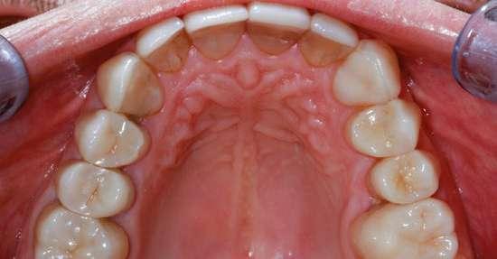
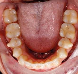
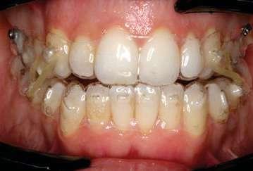
Resultados de tratamiento

Tras 12 meses de tratamiento con alineadores y microtornillos conseguimos:

1. Solucionar la clase II molar y canina gracias a la distalización parcial del primer cuadrante, combinada con la anterorotación mandibular.

2. Corregir el canting gracias a la intrusión del segundo cuadrante.

3. Cerrar la mordida abierta gracias a la intrusión posterior que favoreció la reposición de la mandíbula.

4. Expandir y coordinar ambas arcadas.

5. Nivelar y alinear.

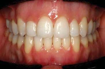
6. Mejora en la estética de la sonrisa, el perfil y la armonía facial.

Retención:

Essix superior e inferior nocturno. (Imágenes 7 y 8)

Comparación inicio y final (Imagen 9)

Conclusión

En la actualidad, la combinación de alineadores transparentes con una planificación digital rigurosa, secuenciación adecuada y una correcta selección de anclaje, ofrece una alternativa altamente eficaz para el tratamiento de maloclusiones complejas. La incorporación de microtornillos de anclaje temporal permite optimizar el control, reforzar el anclaje y minimizar movimientos indeseados, lo que posibilita abordar con éxito situaciones que históricamente requerían abordajes más invasivos, como la aparatología fija multibrackets, extracciones o incluso cirugía ortognática. Gracias a estos recursos, hoy es posible obtener resultados efectivos, predecibles y estables a largo plazo, en un marco de tratamiento más cómodo para el paciente, corrigiendo maloclusiones consideradas tradicionalmente de difícil manejo, como el canting, la mordida abierta o la Clase II de origen esquelético 

caso clínicoORTODONCIA

1

Imagen 1. Fotografías extraorales iniciales de estudio.
Imagen 2. Fotografías intraorales iniciales de estudio.
Imagen 3. Render CBCT inicial.
Imagen 4. Fotografías planificación digital.
Imagen 5. Fotografías intraorales tras colocación de microtornillos.

caso clínicoORTODONCIA

Imagen 6. Fotografías evolución de tratamiento.
Imagen 7. Fotografías intraorales de final de tratamiento.
Imagen 8. Fotografias Render CBCT final de tratamiento.
Imagen 9. Comparación inicio y final de tratamiento.

caso clínico

Resumen

El manejo de las maloclusiones de Clase II esqueléticas con mordida abierta ha representado históricamente uno de los mayores retos en ortodoncia, dado su carácter complejo y las limitaciones de los enfoques convencionales. En este artículo presentamos un caso clínico de mordida abierta asociada a Clase II esquelética, desviación mandibular y canting, tratado con éxito mediante la combinación de alineadores transparentes y microtornillos de anclaje temporal

En un periodo de apenas 12 meses de tratamiento, se logró la corrección de la divergencia de los planos oclusales, la nivelación del canting, el cierre de la mordida abierta y la corrección de la Clase II a un engranaje estable de Clase I

Este caso ilustra cómo el uso combinado de alineadores y microtornillos permite abordar con éxito maloclusiones esqueléticas complejas, ofreciendo tratamientos efectivos, predecibles y estables en tiempos clínicos reducidos.

Bibliografía

1. Jamilian A, Showkatbakhsh R, Männchen R, Chhatpar S, Vesnaver A, Perinetti G. The impact of mini-screws and micro-implants on orthodontic outcomes: An umbrella meta-analysis. Clin Exp Dent Res. 2025;11(8):10211037. doi:10.1002/cre2.1139

2. Shi Y, Zhang H, Zhang J, Cao M, Zhang H, Zhang L, et al. Therapeutic effect of micro-implant anchorage in orthodontics. Front Biosci (Landmark Ed). 2024;29(6):136. doi:10.31083/j.fbl2906136

3. Bhate M, Patel J, Kosha M, Patil P, Rajesh R. Effectiveness of clear aligner therapy in maxillary molar distalization for Class II malocclusion: A systematic review of clinical studies. Cureus. 2025;17(4):e82632. doi:10.7759/ cureus.82632

4. Reynders R, Ronchi L, Bipat S. Mini-implants in orthodontics: a systematic review of the literature. Am J Orthod Dentofacial Orthop. 2009;135(5):564-9. doi:10.1016/j. ajodo.2008.09.020

5. Wang K, Fan H, Yang H, Li J, Xie W. Efficacy and

safety of micro-implant anchorage in Angle class II malocclusion orthodontic treatment: A protocol for systematic review and meta-analysis. Medicine (Baltimore). 2020;99(51):e23512. doi:10.1097/ MD.0000000000023512

6. Becker K, Pliska B, Buschang PH. Efficacy of orthodontic mini implants for en masse retraction in the maxilla: A systematic review and meta-analysis. Int J Implant Dent. 2018;4(1):33. doi:10.1186/s40729-018-0145-1

7. D’Antò V, et al. Indications and limits of clear aligner therapy. Appl Sci (Basel). 2025;15(2):791. doi:10.3390/ app15020791

8. Olteanu ND, Bratu DC, Varga M, Rusu LC, Bratu EA, Duma VF, et al. The effectiveness of clear aligners in anterior open-bite correction: A scoping review. Diagnostics (Basel). 2025;15(3):291. doi:10.3390/diagnostics15030291

9. Lombardo EC, Jamilian A, Veli I, Aboulazm A, Perinetti G. Mandibular advancement vs Class II elastics in clear aligner therapy: A comparative clinical study. Appl Sci

(Basel). 2025;15(7):3129. doi:10.3390/app15073129

10. Chakraborty D, Agrawal S, Nayak R, Kumawat R, Patidar R, Maheshwari S, et al. Clinical effectiveness of clear aligner therapy during the management of Class II malocclusion: A prospective study. J Int Soc Prev Community Dent. 2025;15(1):25-32. doi:10.4103/jispcd. jispcd_1561_24

11. Di Palma G, Tepedino M, Chimenti C, Paoloni V. Clinical efficacy of clear aligners in Class II malocclusion: From pediatric to adult cases – A narrative review. J Funct Biomater. 2025;16(9):354. doi:10.3390/jfb16090354

12. Lam R, Goonewardene M, Petocz P. Success rates of a skeletal anchorage system in orthodontics. Angle Orthod. 2018;88(1):27-34. doi:10.2319/022117-136.1

13. Xu Y, Xie J, Chen Y, Zhang F, Yang C, Chen M, et al. Comparison of the effects of mini-implant and traditional anchorage in retracting maxillary anterior teeth: A systematic review and meta-analysis. Head Face Med. 2016;12:30. doi:10.1186/s13005-016-0128-9

Imagen 9. Comparación inicio y final de tratamiento. 9

Tratamiento avanzado con alineadores transparentes adaptado a pacientes en crecimiento

Spark Junior ofrece un plan de tratamiento de dos fases diseñado específicamente para pacientes jóvenes. Apoya el cuidado ortodóntico personalizado y continuo desde la niñez hasta la adultez, brindando la sonrisa Spark que le encantará a sus pacientes.

Descubre nuestros nuevos productos!

Comuníquese con su representante de ventas o visite ormco.eu/spark

BiteSync de clase II

Sistema de corrección

Nuevo

Simplifique su clínica con la corrección de clase II integrada en su flujo de trabajo digital

Spark BiteSync es un sistema de corrección de clase II que ofrece avance mandibular sincronizado, distalización maxilar y alineación dental sin la necesidad de un dispositivo extra. El sistema consta de una guía de oclusión y una SideBar, conectadas y alimentadas por elásticos de clase II, que pueden utilizarse en conjunto o de forma independiente.

STRAUMANN LIVE SUMMIT 2025: UN ENCUENTRO QUE MARCA EL FUTURO DE LA IMPLANTOLOGÍA DIGITAL

El Straumann Live Summit 2025, celebrado en Madrid, reunió a los principales referentes de la odontología y la implantología digital para debatir sobre el futuro del sector. Organizado por Straumann Group, el evento se consolidó como un espacio de innovación, formación y networking. A lo largo de las jornadas se abordaron temas como la digitalización, la sostenibilidad y la evolución del paciente, destacando la importancia de la tecnología y la comunicación en la práctica clínica moderna.

El pasado 3 de octubre, Madrid se convirtió en el epicentro de la innovación dental con la celebración del Straumann Live Summit 2025, un evento que reunió a los principales referentes del sector para debatir, inspirar y compartir la visión de futuro de la odontología y la implantología digital. Organizado por Straumann, especialista mundial en soluciones dentales y digitales, el encuentro se consolidó como un espacio único de conocimiento y networking, con una puesta en escena y un contenido de alto valor que reflejaron la transformación que está viviendo el sector.

Un encuentro para adaptarse al cambio

El punto de partida del Straumann Live Summit fue claro: la odontología está cambiando. Los pacientes de hoy no solo buscan tratamientos clínicamente excelentes, sino también una experiencia de servicio personalizada y participativa. En este nuevo contexto, el profesional dental se enfrenta al desafío de integrar nuevas herramientas digitales que permitan optimizar resultados y, al mismo tiempo, ofrecer una atención más humana, transparente y centrada en las necesidades del paciente. El evento fue inaugurado por Pablo Prado, General Manager Iberia de Straumann Group, quien destacó que “nuestro sector está viviendo una profunda transformación, impulsada por dos pilares clave”. En sus palabras, los pacientes “esperan experiencias transformadoras, buscan inmediatez y agilidad en los tratamientos, y desean participar activamente en la toma de decisiones comprendiendo a fondo cada paso del procedimiento”; y la tecnología, “que está revolucionando la práctica diaria haciéndola cada vez más eficiente —desde la captura de datos con escáneres intraorales hasta la integración de plataformas digitales en la nube, así como la inteligencia artificial y la robótica—”.

Durante el evento, algunos de los expertos más prestigiosos del panorama implantológico nacional e internacional compartieron sus experiencias y estrategias para adaptarse a las nuevas expectativas de los pacientes, destacando la importancia de la comunicación, la confianza y la tecnología como pilares fundamentales en la práctica moderna.

Pablo Prado, General Manager Iberia de Straumann Group

La digitalización como motor de transformación

Uno de los grandes protagonistas del Straumann Live Summit fue el avance de la digitalización. Straumann ha demostrado, una vez más, su liderazgo en la integración de tecnología en la práctica clínica diaria, ofreciendo soluciones que cubren todo el flujo de trabajo digital, desde la planificación hasta la ejecución del tratamiento. En este sentido, el evento sirvió como escaparate para presentar sus últimas innovaciones, como la plataforma digital AXS, que centraliza y conecta todos los procesos del flujo de trabajo clínico; el nuevo escáner intraoral Sirios X3, diseñado para ofrecer máxima precisión, velocidad y ergonomía; y la impresora 3D Midas, que abre nuevas posibilidades en el diseño y la fabricación de prótesis personalizadas. Estas soluciones no solo optimizan los tiempos y la eficiencia, sino que también facilitan una colaboración más fluida entre clínicos, laboratorios y pacientes, transformando la manera en la que se conciben y ejecutan los tratamientos dentales.

Un espacio para la inspiración y el liderazgo

El Straumann Live Summit 2025 fue mucho más que una presentación de tecnología y soluciones: fue un encuentro de ideas, experiencias y propósito. A lo largo de las jornadas, se abordaron temas clave como la evolución del comportamiento del paciente, la digitalización de la práctica dental,

la sostenibilidad en la implantología y la importancia de la formación continua en un entorno en constante cambio.

Las ponencias estuvieron acompañadas de un formato dinámico y participativo abierto al networking, que generó un ambiente de aprendizaje inspirador, con una visión compartida: la excelencia clínica y la innovación tecnológica deben ir siempre de la mano.

Un compromiso con el futuro de la implantología

El éxito del Straumann Live Summit 2025 refleja el compromiso de Straumann Group con la innovación, la formación y la excelencia. La compañía reafirma así su papel como referente global en implantología y soluciones digitales, ofreciendo a los profesionales herramientas que les permitan seguir creciendo y diferenciándose en un mercado cada vez más competitivo. Con este evento, Straumann no solo ha celebrado el presente de la odontología digital, sino que ha abierto la puerta a un futuro más conectado, colaborativo y centrado en el paciente.

El Straumann Live Summit 2025 ha sido solo el comienzo de una serie de encuentros que la compañía continuará impulsando en los próximos años, con el objetivo de seguir acompañando a los profesionales del sector en su camino hacia la transformación digital. Porque el futuro de la implantología no se espera: se construye, juntos. 

bienvenidos a straumann straumann.es@straumann.com

ABORDAJE ORTODÓNCICOQUIRÚRGICO DE CANINO INCLUIDO PALATINO: CASO CLÍNICO CON FENESTRACIÓN ABIERTA

La fenestración de caninos mediante técnica abierta constituye una alternativa quirúrgica con ventajas significativas, resultando una técnica eficaz y segura, cuya indicación debe individualizarse de acuerdo con la posición del canino, la edad del paciente y los objetivos terapéuticos, con el fin de lograr un resultado terapéutico que optimice tanto la función como la estética. El objetivo del caso clínico que se presenta a continuación es documentar la intervención quirúrgica y los resultados clínicos obtenidos tras la fenestración abierta de un canino superior incluido en posición palatina.

Introducción

La inclusión de los caninos oscila entre el 0,9% y el 2,2%, siendo el segundo diente que más se impacta tras los terceros molares (1,2). La prevalencia es mayor en el canino superior, que tiene una erupción relativamente tardía y muchas veces no dispone del espacio necesario o se encuentra en posición ectópica (3). La frecuencia de inclusión en mujeres es un 1,5 a 3,5 veces mayor que en los hombres (4).

La inclusión del canino suele ser un hallazgo ocasional, clínico o radiológico, y la mayoría de los casos son asintomáticos. Sin embargo, alrededor del 20% de los pacientes pueden presentar complicaciones, que incluyen la pericoronaritis (14%), patología quística o tumoral (12%) siendo el quiste dentígero el más frecuente, alteraciones neurológicas (8%) como parestesias de los nervios infraorbitarios o mentoniano y problemas mecánicos como reabsorciones de dientes vecinos (7%) (5,6).

La etiopatogenia es multifactorial y depende de diversas variables anatómicas y mecánicas. La ausencia o microdoncia de los incisivos laterales, la falta de espacio en la arcada dentaria, la exfoliación temprana del diente deciduo o la posición anómala del canino en desarrollo son algunos de los factores relacionados (7,8).

El manejo del canino incluido puede efectuarse

mediante la extracción temprana del temporal para favorecer la erupción espontánea (tratamiento interceptivo), la fenestración y tracción ortodóntica o la extracción quirúrgica, cuya elección dependerá de factores como la edad, la posición o el espacio disponible. Como alternativa y en caso de caninos asintomáticos y sin patología, puede optarse por la abstención terapéutica con controles clínicos y radiológicos periódicos (9).

La clasificación topográfica de los caninos retenidos se establece en sentido transversal y vertical. Transversalmente, la localización palatina corresponde a cerca del 90% de los casos y suele asociarse con predisposición genética, ectopia folicular, defectos en la reabsorción del canino temporal o alteraciones en el incisivo lateral, mientras que la localización vestibular (10%) se vincula principalmente a la falta de espacio. En el plano vertical, la corona puede situarse desde una posición submucosa hasta niveles más profundos en íntima relación con los ápices dentarios o cerca de las fosas nasales. Estas variaciones en la localización constituyen variables pronósticas de tracción, cuya valoración clínica y radiológica resulta esencial para determinar la viabilidad y la indicación del procedimiento ortodóncico-quirúrgico (4).

El estudio radiológico es fundamental para de -

terminar la posibilidad de realizar un tratamiento ortodóncico-quirúrgico mediante el estudio de factores como la distancia del diente incluido al plano oclusal o la superposición del canino con el incisivo lateral o central adyacentes. La valoración sagital mesiodistal y el ángulo beta permiten determinar la viabilidad de la tracción al evaluar la relación entre el canino y la línea media; a menor superposición con el incisivo lateral y mayor verticalidad, mejor será el pronóstico. También deben considerarse los estadios de Nolla (sistema que permite clasificar el desarrollo de los dientes) y la relación del canino con el seno maxilar (4,10). El objetivo de este caso clínico es documentar la intervención quirúrgica y los resultados clínicos obtenidos tras la fenestración abierta de un canino superior incluido en posición palatina.

Descripción del caso

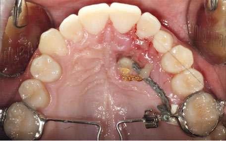
Se describe el caso de un varón de 12 años y 65 kg que acudió al servicio de cirugía del Máster en Cirugía Bucal e Implantología Bucofacial de la Universitat de Barcelona en marzo de 2025 para valorar la presencia del diente temporal 6.3 y la ausencia del canino permanente erupcionado. El paciente no tenía antecedentes patológicos de interés ni alergias conocidas. En la exploración intraoral se identificó la presencia del diente temporal 6.3, acompañado de un abombamiento en la región palatina, evidenciado en las figuras 1 y 2.

La ortopantomografía confirmó la inclusión del 2.3, así como la relación con estructuras vecinas (dientes adyacentes, dientes antagonistas, hueso alveolar, nervios y vasos y senos paranasales) y la relación con el plano oclusal (distancia horizontal, profundidad, superposición con el incisivo lateral adyacente y ángulo beta) (figura 3 y 4). Finalmente, la tomografía computarizada de haz cónico preoperatoria (figura 5) proporcionó una visión tridimensional precisa, fundamental para la planificación y el abordaje clínico óptimos.

Desde el servicio de ortodoncia del Máster de Ortodoncia y Ortopedia Dentofacial de la Universitat de Barcelona se confirmó que la fenestración del canino superior izquierdo era viable y que su inclusión en la arcada mediante tracción ortodóncica resultaba factible. El paciente y sus familiares aceptaron el plan de tratamiento propuesto.

Previo consentimiento informado, se realizó la intervención quirúrgica bajo anestesia local con el bloqueo de los nervios palatino anterior y nasopalatino, y anestesia infiltrativa vestibular con una solución anestésica de adrenalina 4% y epinefrina 1:100.000. A continuación, se efectuó una incisión sulcular palatina (figura 6), la elevación de un colgajo mucoperióstico de espesor total (figura 7) protegiendo el nervio nasopalatino, y la ostectomía con pieza de mano con fresa de carburo de tungsteno del nº8 a 40.000rpm (figura 8) hasta exponer la corona sin sobrepasar la línea amelocementaria. Posteriormente, se logró la reposición del colgajo palatino mediante puntos en 8 (figura 9) y por último se realizó una ventana mucosa (figura 10) para colocar el botón con una cadeneta de oro para permitir la tracción posterior del canino (figura 11). La intervención se desarrolló sin incidencias intraoperatorias. Se detallaron las instrucciones postoperatorias generales, que incluyeron: evitar enjuagues y escupir durante las primeras 24 horas, mantener una dieta blanda, aplicar frío local en la zona intervenida durante las primeras 24 horas, realizar un cepillado suave y utilizar enjuagues con clorhexidina al 0,12% (15 ml cada 12 horas) durante 14 días (Perio·Aid®, Dentaid S.L., Cerdanyola del Vallès, Barcelona, España). En cuanto a la medicación, se prescribió tratamiento antibiótico con amoxicilina 500 mg (1 comprimido cada 8 horas durante 7 días), antiinflamatorio con dexketoprofeno 25 mg (1 comprimido cada 8 horas durante 3 a 5 días), y analgesia de rescate con paracetamol 500 mg (1 comprimido cada 8 horas según necesidad).

A los 7 días de la intervención se retiró la sutura (figura 12) y se realizaron controles a los 14 y 30 días (figuras 13 y 14) y a los 6 meses (figuras 15), momento en el que se realiza la extracción del canino temporal (figura 16) y se cementaron los brackets convencionales (figura 17).

La tracción del canino se inició mediante la técnica de barra palatina y caña de pescar efectuando activaciones durante 2 meses con controles cada 2 semanas. Posteriormente, se colocó ortodoncia fija con brackets convencionales con el objetivo de llevar el canino al arco dental.

I. Bardina-Lamelas

DDS. Alumna Máster en Cirugía Bucal e Implantología Bucofacial, Facultat de Medicina i Ciències de la Salut, Universitat de Barcelona.

K. Sebti

DDS. Alumna Máster de Ortodoncia y Ortopedia Dentofacial, Facultat de Medicina i Ciències de la Salut, Universitat de Barcelona.

E. Delgado-Molina

DDS, MS, PhD. Profesora asociada y colaboradora del Máster en Cirugía Bucal e Implantología Bucofacial, Facultat de Medicina i Ciències de la Salut, Universitat de Barcelona.

M. García-García

DDS, MS, PhD. Profesora asociada y colaboradora del Máster en Cirugía Bucal e Implantología Bucofacial, Facultat de Medicina i Ciències de la Salut, Universitat de Barcelona.

A. Sánchez-Torres

DDS, MS, PhD. Profesora agregada y colaboradora del Máster en Cirugía Bucal e Implantología Bucofacial, Facultat de Medicina i Ciències de la Salut, Universitat de Barcelona.

R. Figueiredo

DDS, MS, PhD. Profesor agregado y coordinador del Máster en Cirugía Bucal e Implantología Bucofacial, Facultat de Medicina i Ciències de la Salut, Universitat de Barcelona.

E. Valmaseda-Castellón

DDS, MS, PhD, EBOS. Catedrático de Cirugía Bucal, Director del Máster en Cirugía Bucal e Implantología Bucofacial y del Departamento de Odontoestomatología. Facultat de Medicina i Ciències de la Salut, Universitat de Barcelona.

caso clínicoMULTIDISCIPLINAR

3. Superposición canina con el incisivo lateral adyacente. 1: Punto de referencia apical, 2: Eje longitudinal del canino, 3: Punto de referencia coronal, 4: Relación incisivo lateral adyacente.

Figura 1. Exploración intraoral (visión frontal).
Figura 2. Exploración intraoral (visión palatina).
Figura
Figura 4. Angulación del canino con respecto a la línea media.
Figura 5. Tomografía Computarizada de Haz Cónico.
Figura 6. Incisión sulcular. Figura 7. Elevación del colgajo mucoperióstico.
Figura 8. Ostectomía. Figura 9. Sutura. Figura 10. Confección de la ventana mucosa.
Figura 11. Colocación del botón y cadeneta de oro.
Figura 12. Control 7 días.
Figura 13. Control 14 días.
Figura 14. Control 30 días.
Figura 15. Control 6 meses.
Figura 16. Extracción canino temporal.
Figura 17. Colocación ortodoncia fija.

caso clínico

Discusión

La inclusión de caninos superiores representa un desafío clínico y quirúrgico, no solo por su anatomía y ubicación que dificultan su manejo, sino también por el impacto que puede tener en la calidad de vida de los pacientes, que en su mayoría son niños o adolescentes. El diagnóstico precoz y el tratamiento oportuno son fundamentales, ya que la ausencia de un canino en la arcada no solo afecta la función masticatoria y la estabilidad de la oclusión, sino también la estética y, con ello, la autoestima en edades tempranas (11).

La decisión entre traccionar o extraer un canino incluido depende fundamentalmente de los factores que condicionan el éxito de la tracción ortodóntica. El pronóstico es favorable cuando la raíz no presenta anomalías, especialmente si no está dilacerada, y cuando el solapamiento con el incisivo lateral es leve ya que si el canino cubre más de la mitad del lateral o incluso el incisivo central, la viabilidad disminuye notablemente. Asimismo, en los caninos en posiciones muy horizontales el pronóstico empeora. Otro factor determinante es la edad del paciente, siendo más exitosos los tratamientos de tracción en edades tempranas, cuando la raíz aún no está completamente formada, mientras que en adultos las probabilidades de éxito disminuyen y puede ser preferible optar por la extracción (12).

La exposición quirúrgica de caninos retenidos puede realizarse mediante técnica cerrada o técnica abierta, según la posición del canino, los objetivos del tratamiento ortodóncico, las características periodontales y las expectativas estéticas del paciente. La técnica cerrada consiste en realizar una exposición quirúrgica del canino incluido mediante un colgajo mucoperióstico, cementar un aditamento ortodóncico (como un botón o cadena) sobre la corona dental, reposicionando el colgajo para cubrir nuevamente el diente. Esta tracción ortodóncica se lleva a cabo de forma submucosa, guiando progresivamente el diente hacia su posición funcional en la arcada. Sin embargo, en la técnica abierta se expone la corona del canino incluido mediante un abordaje quirúrgico creando una pequeña ventanita en la mucosa, dejando el diente visible en la cavidad oral tras la intervención y por donde sale el alambre, lo que permite, en caso de descementarse el botón, recolocarlo fácilmente sin necesidad de reabrir. Una vez expuesto, puede erupcionar espontáneamente o ser sometido a tracción ortodóncica desde su posición descubierta (13-16).

Respecto a la elección entre técnica abierta y cerrada, ambas presentan ventajas y limitaciones y su

indicación depende de la posición del canino: habitualmente, los caninos vestibulares y muy apicales se tratan con técnica cerrada, mientras que los palatinos se abordan con técnica abierta (13-15,17). La técnica abierta permite un control más directo y facilita el recementado del botón en caso de desprendimiento, aunque puede generar alteraciones estéticas en el margen gingival, especialmente en vestibular. Además, con la técnica abierta hay una reducción del tiempo quirúrgico, como se observó en un estudio observacional publicado recientemente, donde con la técnica abierta se requirió un tiempo quirúrgico promedio de 23,17 ± 8,28 minutos, mientras que con la técnica cerrada necesitó 31,17 ± 10,42 minutos. Esta diferencia fue estadísticamente significativa (P < 0,05), indicando que la técnica abierta puede ser más eficiente en términos de tiempo operatorio (16). En la revisión sistemática de Sampaziotis y colaboradores de 2018 (18) se comparó la exposición quirúrgica y se concluyó que la técnica abierta tiende a reducir la duración del acto quirúrgico. El tiempo quirúrgico promedio de la técnica abierta era de 30,9 ± 10,1minutos, mientras que con la técnica cerrada se necesitó 37,7 ± 8,4minutos (diferencia estadísticamente significativa, P = 0,006).

Por su parte, la técnica cerrada, ofrece mejores resultados estéticos a largo plazo y un entorno más controlado para la tracción, con menor exposición a interferencias de tejidos blandos y mayor constancia del punto de aplicación de la fuerza, lo que clínicamente se traduce en menos ajustes durante la tracción. Sin embargo, esta técnica cerrada implica mayor dificultad técnica y la necesidad de reintervenir en caso de descementado del aditamento ortodóntico (19).

La decisión final sobre utilizar fenestración abierta o cerrada depende de factores como el tiempo operatorio y la morbilidad postoperatoria, la salud periodontal y la estética, así como de la experiencia y preferencias del cirujano y el ortodoncista. En los casos palatinos, la tracción del canino hacia la arcada arrastra la encía palatina, lo que puede generar un margen gingival poco armónico con los dientes vecinos, motivo por el cual suele ser necesaria una pequeña gingivectomía al finalizar el tratamiento (13-15,17). La recuperación postoperatoria suele ser favorable, aunque depende de factores como la posición inicial del canino y la técnica empleada. También se ha descrito que la exposición quirúrgica, sin fijación de medio de tracción, favorece la erupción de los caninos incluidos (20), si bien esta modalidad de tratamiento es solo aplicable a pacientes jóvenes con potencial de erupción.

En cuanto al pronóstico y recuperación, las cirugías de exposición y tracción de caninos suelen presentar buenos resultados, siempre que se realicen en edades tempranas, cuando la raíz aún no ha completado su formación y los tejidos periodontales tienen mayor capacidad de adaptación. En un estudio transversal realizado por Yang y colaboradores, se observó que el 96% de los caninos maxilares impactados tratados con exposición quirúrgica y tracción ortodóntica tuvieron éxito. Solo el 4% requirió una cirugía de reexposición. Este alto porcentaje de éxito resalta la eficacia del tratamiento cuando se implementa adecuadamente (21). Otro estudio realizado por Lee y su equipo también reportó una tasa de éxito del 95% en la tracción ortodóntica de caninos maxilares impactados (22).

Un aspecto innovador es el uso de guías quirúrgicas personalizadas que permiten localizar con precisión el canino y optimizar el acceso. Estas guías no solo reducen el tiempo operatorio y la morbilidad, sino que también aumentan la predictibilidad del resultado, minimizando el riesgo de daño a estructuras adyacentes (23).

Bibliografía

1. Pant BD, Rajbhandari A, Pradhan R, Bajracharya M, Manandhar P, Maharjan S, Pun DB, Sah BK. Impacted Canine in Orthodontic Patients of a Tertiary Care Hospital: A Descriptive Cross-sectional Study. JNMA J Nepal Med Assoc. 2021;59:1215-8.

2. Bishara S. Impacted maxillary canines: a review. Am J Orthod Dentofacial Orthop. 1992; 101: 159-71.

3. Mittal M, Murray A, Sandler J. Impacted maxillary canines – a perennial problem. Dental Update. 2012;39:487 97.

4. Gay Escoda C, Berini Aytés L. Tratado de cirugía bucal. Madrid: Ediciones Ergon; 2015.

5. Manne R, Gandikota C, Juvvadi SR, Rama HR, Anche S. Impacted canines: Etiology, diagnosis, and orthodontic management. J Pharm Bioallied Sci. 2012;4:S234-8.

6. Sánchez Velásquez J, Barahona RMM. Caninos retenidos, características clínicas, métodos diagnósticos y tratamiento odontológico. Revisión bibliográfica. Odontología Activa Rev Científica. 2022;7:65-74.

7. Coello DA, Palmas OS. Caninos impactados, diagnóstico e interpretación temprana. Revisión de literatura. MQR Investigar. 2023;7:2857 71.

8. Macias Escalada E, Cobo Plana J, Carlos Villafranca F, Pardo Lopez B. Abordaje ortodóncico quirúrgico de las inclusiones dentarias. RCOE. 2005; 10:69-82.

9. Perio Clínica. Opciones terapéuticas en el manejo periodontal y ortodóncico de caninos incluidos maxilares. Perio Clínica. 2023.

10. Alqerban A, Storms AS, Voet M, Fieuws S, Willems G. Early prediction of maxillary canine impaction. Dentomaxillofac Radiol. 2016;45:20150232.

El desarrollo de adhesivos más resistentes para asegurar la fijación de los elementos de tracción, así como la integración de la impresión 3D y la cirugía guiada suponen futuras líneas de investigación. Asimismo, resulta prometedor explorar el papel de la regeneración tisular y de terapias mínimamente invasivas para mejorar la estética gingival tras la tracción y reposición en la arcada de estos dientes (19, 24, 25).

Conclusiones

La fenestración de caninos mediante técnica abierta constituye una alternativa quirúrgica con ventajas significativas como la exposición directa de la corona dentaria, la facilidad de la colocación de aditamentos ortodónticos y un control clínico más preciso de los cambios respecto a la posición del canino a lo largo de la tracción. Es una técnica eficaz y segura, cuya indicación debe individualizarse de acuerdo con la posición del canino, la edad del paciente y los objetivos terapéuticos, con el objetivo de lograr un resultado que optimice tanto la función como la estética. 

11. Coello Merino GD. Prevalencia de caninos impactados y su complejidad en el tratamiento de ortodoncia [tesis]. Loja: Universidad Nacional de Loja; 2021.

12. Beltrán VJ, Flores B, García A, Cantín M, Fuentes R. Abordaje quirúrgico de un canino maxilar impactado en posición vestibular para tracción ortodóncica: reporte de caso y revisión de la literatura. Int J Odontostomat. 2011;5:220-226.

13. Parkin NA, Freeman JV, Deery C, Tinsley D, Benson PE. Esthetic judgments of palatally displaced canines 3 months postdebond after surgical exposure with either a closed or an open technique. Am J Orthod Dentofacial Orthop. 2015;147:173-81.

14. Chapokas AR, Almas K, Schincaglia GP. The impacted maxillary canine: a proposed classification for surgical exposure. Oral Surg Oral Med Oral Pathol Oral Radiol. 2012;113:222-8.

15. Londhe SM, Kumar P, Datana S, Kotwal A, Saxena V. Guided tooth eruption: comparison of open and closed eruption techniques in labially impacted maxillary canines. J Dent Res Rev. 2014;1:148-151.

16. Bari S, Khan S, Shahid S, et al. Comparison of open and closed exposure with orthodontic traction for impacted maxillary canines: A prospective study. Pak J Health Sci. 2025;42:1–6.

17. Parkin NA, Deery C, Smith AM, Tinsley D, Sandler J, Benson PE. No difference in surgical outcomes between open and closed exposure of palatally displaced maxillary canines. J Oral Maxillofac Surg. 2012;70:2026-34.

18. Sampaziotis D, Tsolakis IA, Bitsanis E, Tsolakis AI. Exposición quirúrgica abierta frente a cerrada de caninos maxilares impactados en el paladar: comparación de los diferentes resultados del tratamiento, una revisión sistemática. Eur J Orthod. 2018;40:11-22.

19. Kokich VG, Mathews DP. Surgical and orthodontic management of impacted maxillary canines. J Am Dent Assoc.1993;124:100–106.

20. Smailiene D, Kavaliauskiene A, Pacauskiene I, Zasciurinskiene E, Bjerklin K. Palatally impacted maxillary canines: Choice of surgical-orthodontic treatment method does not influence post-treatment periodontal status. A controlled prospective study. Eur J Orthod. 2013;35(6):803–10.

21. Yang H, Li J, Zhang Y, et al. Surgical exposure and orthodontic traction of impacted maxillary canines: A retrospective study of 96% success rate. J Oral Maxillofac Surg. 2022;80:1400–07.

22. Lee RJ, Kim YH, Park JH, et al. Orthodontic traction of impacted maxillary canines: Clinical outcomes and success rates. J Am Dent Assoc. 2023;154:312–20.

23. Lara-Muros M, de-la-Rosa-Gay C, Vilarrasa J, García-Mira B, Figueiredo R, Valmaseda-Castellón E, Camps-Font O. Pain, duration and safety of computer-assisted surgical exposure of palatally displaced canines: A case series. Med Oral Patol Oral Cir Bucal. 2025. Epub ahead of print.

24. Gutiérrez Pérez JL, Torres Lagares D. Exposición quirúrgica abierta vs. cerrada en rescate de caninos impactados. A propósito de un caso bilateral en palatino. Cirugía Bucal. 2020;9:1–6.

25. Crescini A, Rotundo R, Chimenti C. Minimally invasive periodontal techniques for soft tissue management in orthodontic patients. J Clin Periodontol. 2018;45:1463–71.

Desafía tus límites: XIII Congreso Ticare (6 y 7 de febrero de 2026)

EL PUNTO DE ENCUENTRO DE LA IMPLANTOLOGÍA

En 2026, Ticare celebra algo más que un congreso: conmemora tres décadas de evolución, innovación y compromiso con la implantología.

Bajo el lema “Desafiando límites”, el XIII Congreso Ticare será una cita emblemática que marcará los 30 años de trayectoria de la compañía, consolidándose como un referente en el sector y como punto de encuentro para mirar hacia el futuro, romper moldes y avanzar juntos.

El Congreso reunirá a más de 1.200 profesionales en un espacio de 6.000 m2 dedicados a la innovación. Una cita imprescindible para quienes buscan avanzar en implantología con visión de futuro.

Durante los días 6 y 7 de febrero, los asistentes disfrutarán de dos jornadas intensivas dedicadas a la ciencia, la evidencia clínica y la innovación en implantología, con conferencias, espacios de networking y contenidos aplicables a la práctica diaria. Más de 55 voces de referencia en el sector, de reconocido prestigio nacional e internacional, serán las encargadas de impartir los programas para odontólogos, protésicos, higienistas y auxiliares; en un espacio donde compartir experiencias y aprender lo último en el sector.

Programa de Odontólogos: técnicas avanzadas y desafíos clínicos

El Programa de Odontólogos, diseñado con enfoque en los retos de la práctica clínica diaria, tendrá lugar el viernes y el sábado. Doctores como Alberto Monje, Gustavo Ávila, Pablo Galindo, Alberto Salgado, Beatriz de Tapia o Hom-Lay Wang, entre muchos otros, serán los encargados de abordar técnicas avanzadas, casos prácticos y nuevas perspectivas en implantología.

Dividido en varios bloques, los conferenciantes desafiarán los retos en: dientes con pronóstico desfavorable, defectos en tejidos, pacientes con reborde alveolar reducido, pacientes con grandes atrofias, prótesis y cirugía en pacientes susceptibles a periimplantitis, implantología con alveolos cicatrizados, implantes con periimplantitis, implantología inmediata y el futuro de la implantología (Resultados estudio Delphi Sepa-Ticare).

Prótesis como nunca antes la habías visto: el poder del conocimiento Pensado para ofrecer aprendizajes que van más allá de la teoría, llega la revolución: un programa que lleva la prótesis a su máxima expresión. Voces de referencia como Miguel Arroyo, Mikel Ferrer, Laura Maza, Javier Sánchez o Francesc Masip, entre otros, serán los encargados de poner en marcha el Programa de Prótesis.

Temas como protocolos digitales para carga inmediata, inteligencia artificial en odontología, criterios de elección y uso de pilares transepiteliales o biología aplicada al diseño protésico, serán claves en esta jornada.

Higienistas y auxiliares: el alma del equipo clínico ¡Aún hay más! Desde Ticare han preparado un Programa de Higienistas y Auxiliares cuidadosamente diseñado con profesionales que inspiran, comparten técnicas eficientes y presentan herramientas para el día a día. Un espacio pensado para destacar el papel clave del equipo auxiliar en la práctica diaria.

Voces experimentadas como Rogelio Álvarez, Carmen Fuentes, Salvador Mora, María del Corral o Pepa Benítez, entre otros, serán las encargadas de traer sobre la mesa el papel del higienista en el tratamiento odontológico de pacientes especiales, su función en el flujo digital o herramientas digitales que facilitan la gestión.

Una experiencia más allá de la formación

El XIII Congreso Ticare será una cita histórica que marcará un hito con motivo del 30º aniversario de la compañía. Un evento que desafía todos los límites, combinando ciencia, evidencia e innovación. Todo ello acompañado de un gran momento de networking, una cena y concierto inolvidables para todos los participantes, donde celebrar los 30 años de Ticare y el futuro de la implantología. 

La inscripción al Congreso Ticare es gratuita y ya está disponible en: www.congreso.ticareimplants.com

“EL IMPLANTE SUBPERIÓSTICO TENDRÁ UN PAPEL IMPORTANTE Y CADA VEZ MAYOR EN TRATAMIENTO DE ATROFIAS Y EN RESCATE DE PROCEDIMIENTOS IMPLANTOLÓGICOS PREVIOS”

Dr. José Montes, cirujano maxilofacial en Clínica MAEX Cuevas Queipo

El Dr. José Montes, cirujano maxilofacial en Clínica MAEX Cuevas Queipo, nos habla en esta entrevista de la evolución de los implantes subperiósticos y de cómo esta técnica ha logrado cambiar el paradigma de tratamiento en pacientes con atrofia maxilomandibular severa, así como de la importancia de una formación específica y continuada, y de las ventajas que aporta el flujo digital en este tipo de rehabilitaciones que el Dr. Montes define como una técnica “aún muy joven”, pero con un amplio abanico de posibilidades para el clínico.

 DM.- Tras revisar los casos clínicos publicados y su experiencia presentada, observamos que los implantes subperiósticos han evolucionado enormemente. ¿Cómo definiría hoy esta técnica y en qué aspectos considera que ha cambiado el paradigma de tratamiento en pacientes con poco hueso?

Dr. José Montes (Dr. J.M.).- En primer lugar, gracias por su interés en el trabajo de nuestro equipo. Esta técnica la definiría como la rehabilitación en situaciones diversas de atrofia maxilomandibular severa sin necesidad de procedimientos regenerativos o de anclaje remoto, mediante dispositivos de ajuste exquisito a la anatomía cortical externa de los maxilares que incorporan conexiones protésicas similares a las de los implantes endoóseos tradicionales y con posibilidad de prótesis de función inmediata en la mayoría de las situaciones. Todo ello, mediante una técnica habitualmente sencilla, que puede ser realizada en la mayoría de los casos con anestesia local o sedación, generalmente en acto único y con mayor rapidez, sencillez y versatilidad y menor morbilidad que sus alternativas. Hasta ahora se trataba de adaptar los maxilares del paciente a la variedad de implantes que hay

en el mercado, que es muy alta, pero todos necesitan determinado volumen y calidad ósea; en maxilar superior su alternativa eran técnicas agresivas de anclaje cigomático o paranasal alto, y en mandíbula la regenerativa versus lateralizaciones o implantes cortos cuando son posibles y sin carga inmediata. Ahora es la industria la que genera implantes personalizados adaptados a la anatomía atrófica del paciente. Es la técnica la que se adapta al paciente y no al revés.

 DM.- Usted insiste en la importancia del diagnóstico y la planificación digital. ¿Qué papel juegan actualmente la tecnología CAD/CAM y el flujo digital en el éxito del protocolo que usted aplica?

Dr. J.M.- La importancia es crucial. Por un lado, la planificación protésica dirige todo el proceso. El emparejamiento de archivos de prótesis, gingivales y de TAC de alta resolución y prototipo de prótesis futura es la pieza clave para el adecuado diseño del implante subperióstico. Faculta la interacción del cirujano con los ingenieros biomédicos del sistema para la discusión de la necesidad de guías de alveolectomía pilotada, de emplazamiento de conexiones y sus emergencias, de guías de corte horizontal y vertical -únicas o múltiples- para minimizar los ángulos con riesgo de exposición, para decidir el tipo de conexión protésica, el emplazamiento de los tornillos de fijación mediofaciales, cigomáticos, palatinos y mandibulares y el diseño final del implante. Muy frecuentemente para nosotros duplica o triplica el tiempo de Meet con los ingenieros al de cirugía. El diseño digital facilita, además, guías de incisión pilotada y colgajos y accesos quirúrgicos seguros y limitados. Por otro, el flujo digital en la ejecución de prótesis de función inmediata y final es indispensable con objeto de minimizar la manipulación de tejidos intervenidos y generar prótesis no compresivas, pasivas e higiénicas, con oclusión favorable, rápidas, estéticas y de alta resistencia.

 DM.- Desde su experiencia clínica con un número considerable de casos con esta técnica, ¿cuáles son los criterios clave para seleccionar adecuadamente al paciente candidato a implantes subperiósticos?

Dr. J.M.- Nuestro equipo desestima exclusivamente a pacientes con tabaquismo severo o médicamente comprometidos para la cirugía. El paciente periodontal activo debe ser previamente controla-

El implante subperióstico es una solución joven y yo la definiría como aún no estandarizada y altamente dependiente de habilidades individuales. Es un proyecto creativo pero muy dependiente de los conocimientos de todos los que se implican en el proceso y la comunicación eficaz entre ellos

do. Para nosotros es de primera elección cuando la expectativa del paciente no es la prótesis FP1, presenta atrofia V o VI (la atrofia grado IV merecería comentarios individuales) en maxilar o mandíbula cicatrizados o no, con o sin dientes, con o sin implantes funcionales o fracasados, con o sin cigomáticos a mantener o explantar, en ausencia de procesos infecciosos activos óseos o sinusales, y con suficiente hueso de anclaje para una fijación atornillada estable en todos los arbotantes. Aun así, hemos rehabilitado con subperiósticos pacientes sin arbotantes adecuados de fijación con modificaciones a la técnica y diseño original. La presencia de comunicaciones oro o nasosinusales de pequeño o gran tamaño ha sido fácilmente solucionable. Igualmente, la toma de antirreabsortivos tipo bisfosfonatos orales o intravenosos no ha sido una contraindicación ni hemos precisado su suspensión.

Cuando exodonciamos, explantamos endoóseos o cigomáticos valoramos la posibilidad de crear en un solo tiempo un maxilar o mandíbula estables no sometidos a grandes cambios de remodelación, tener un adecuado control de sinusopatías y ser capaces incluso con defectos de partes blandas asociados de asegurar un cierre no comprometido.

 DM.- En las formaciones que viene impartiendo —como la del pasado 17 de octubre— destaca la relevancia de la curva de aprendizaje. ¿Qué competencias o conocimientos previos considera imprescindibles para que un clínico pueda incorporar este protocolo con seguridad y buenos resultados?

Dr. J.M.- Existen muchos diseños de subperiósticos. Primero tengo que tener claro cómo debe ser mi subperióstico de elección, ser crítico con

lo que nos ofrece la industria y tomar nuestra decisión. Vemos diseños aún con titanio en cresta, tornillos no embutidos, fijaciones imposibles de realizar por vía intraoral o exageradas y un largo etcétera. Para decidir hay que conocer las características del subperióstico ideal. También pensamos es necesario dominar el flujo digital de trabajo, saber interactuar adecuadamente en el Meet de diseño y decidir sobre nuestros tipos de guías (seguimos viendo enormes guías que flexan y precisan de incisiones y despegamientos mayores que los necesarios para el propio implante o que utilizan para su emplazamiento incluso todos los puntos de fijación del implante comprometiendo su estabilidad), conocer qué características debe tener nuestra incisión ideal y por qué, detalles técnicos intraoperatorios determinantes y manejo adecuado de partes blandas, que en el subperióstico influye junto a su diseño en el riesgo de exposición.

 DM.- ¿Qué fases del procedimiento son más determinantes y requieren mayor precisión y qué recomendaciones daría para evitar errores quirúrgicos o de diseño?

Dr. J.M.- El implante subperióstico es una solución joven y yo la definiría como aún no estandarizada y altamente dependiente de habilidades individuales. Al mismo tiempo, es una oportunidad ilusionante. Cuando rehabilito con endoóseos, cigomáticos o regenero puedo elegir entre la gran variedad que me proporciona la industria, pero no participo en todo el proceso de tratamiento del paciente. El implante y los biomateriales me vienen dados y decido entre opciones. En el subperióstico participo de inicio a fin. Es un proyecto creativo pero muy dependiente de los conocimientos de todos los que se implican en el proceso y la comunicación eficaz entre ellos.

En primer lugar, el prostodoncista y cirujano deben tener un claro protocolo de flujo digital de diseño propio para subperiósticos, que será distinto al que seguimos para otras rehabilitaciones sobre implantes. Nosotros trabajamos exclusivamente con TAC de alta resolución por su definición y desestimamos los CBCT que solo utilizamos como herramienta de precisión complementando a escaneados en prótesis, pero no en diseño.

A continuación, es vital la reunión del cirujano con los ingenieros biomédicos. La propuesta inicial que pueden traer planteada es modificada entre

ambos para conseguir las mejores emergencias, decidir el tipo de conexión y la posición de estas en hueso y encía, las necesidades de alveolectomía vertical y horizontal múltiple pilotada, la posición de los tornillos de fijación y el diseño final del implante. La decisión sobre el tipo de guías y su diseño es también clave para nosotros.

Durante la cirugía, la planificación de incisión y una meticulosa técnica quirúrgica y de manejo asociado de partes blandas para asegurar un cierre con suficiente volumen de encía queratinizada es fundamental. Por último, la decisión sobre el tipo de prótesis inmediata y final, tanto en materiales como ajustes a encía y oclusión, nos parecen muy determinantes y tenemos desarrollado un protocolo propio con mi compañero Francisco Tudela.

Mis recomendaciones fundamentales para evitar errores están muy relacionadas con casos fracasados que nos comparten otros clínicos para valorar por qué falló el procedimiento. Para nosotros es muy importante desestimar pacientes muy fumadores o periodontales no controlados, tener una idea clara de qué características debe cumplir un subperióstico ideal y no conformarnos con lo que nos ofrecen en la empresa que nos lo fabrica, implicarnos en el diseño, minimizar ángulos, emplazar adecuadamente en altura y posición nuestras conexiones, asegurar puntos de fijación muy estable en todos los arbotantes necesarios, establecer accesos posibles de atornillado (vemos diseños que obligan a abordajes transcutáneos de atornillado innecesarios), generar guías metálicas del menor tamaño y la máxima estabilidad posibles, evitar el atornillado lingual que no es necesario si el subperióstico está bien diseñado, embutir nuestro implante en zona lingual de mandíbulas muy atróficas en el propio contorno óseo y en puesta a plano para evitar exposiciones, cuidar nuestras incisiones especialmente para evitar defectos palatinos de cierre o descargas en brazos de implante o conexiones, tener claro el protocolo de prótesis inmediata y desestimarlo en rehabilitaciones parciales hasta que la evidencia clínica sea más sólida si son nuestros primeros casos.

 DM.- Uno de los aspectos que más interés despierta entre los lectores de Dentista Moderno es la experiencia del paciente. En este sentido, ¿cómo describiría la recuperación, el confort y la percepción de los resultados por parte de quienes reciben este tipo de implantes?

Dr. J.M.- La mayoría de nuestros pacientes han sido desestimados para tratamiento previamente en otros centros (bisfosfonatos orales o intravenosos, reconstrucciones complejas, varios tiempos quirúrgicos, largo tiempo sin dientes, ausencia de función inmediata,

El mensaje que queremos transmitir en SEPA Barcelona 2025 es el amplio abanico de posibilidades que se nos abre con el implante subperióstico si conocemos el manejo global del mismo y sabemos minimizar riesgos ”

anestesia general necesaria, fracasos de implantes o cigomáticos, cigomáticos de mayor agresividad, etc.). La primera experiencia ilusionante para el paciente es ofrecerle la solución rápida y sencilla de su problema. La recuperación postquirúrgica es mucho mejor que en técnicas regenerativas o cigomáticos. Es esperable cierta tumefacción de partes blandas, muy variable según el paciente, pero con escasa necesidad de analgésicos y rápida incorporación sociolaboral y familiar. A corto y medio plazo hasta ahora no existe diferencia con una rehabilitación protésica habitual sobre implantes convencionales. La colocación en la mayoría de los casos de una prótesis de carga inmediata es determinante en la calidad de vida y autoestima de nuestro paciente.

 DM.- En su próxima ponencia de SEPA Barcelona 2025, abordará más de un centenar de casos con un enfoque práctico. ¿Qué mensajes o aprendizajes clave espera transmitir a los asistentes que se inician en esta técnica?

Dr. J.M.- En una técnica aún joven todos vamos aprendiendo con la experiencia acumulada, así hemos pretendido trabajar en nuestra clínica, y por ello hemos ido modificando en estos últimos años el manejo de estos implantes. Nuestra serie incluye algo más de 130 subperiósticos, y durante este tiempo -con tan solo 1 retirada de implante- hemos variado los diseños originales, los puntos de fijación, las técnicas de fresado pilotado, el diseño de las guías, rescatado situaciones de compromiso dental, de implantes o cigomáticos y desarrollado un protocolo protésico. Nada de ello es ideal e iremos evolucionando, pero no observamos complicaciones así. El mensaje que queremos transmitir es el amplio abanico de posibilidades que se nos abre con el implante subperióstico si conocemos el manejo global del mismo y sabemos minimizar riesgos. No nos quedaremos nada en el tintero a la hora de mostrar nuestros “tips & tricks” para dar éxito a las rehabilitaciones.

 DM.- Finalmente, ¿cuál cree que será el papel de los implantes subperiósticos en la implantología moderna y qué retos quedan pendientes en cuanto a investigación y formación continua?

Dr. J.M.- Oigo en muchos foros que son la alternativa ideal en situaciones de atrofia cuando no son posibles los implantes convencionales. Honestamente creo que no es así. Aunque me apasionen sus posibilidades, sigo encontrando indicaciones claras para las técnicas regenerativas o los implantes cigomáticos, y explicaré en SEPA por qué. Sin embargo, si la técnica evoluciona adecuadamente creo que ofrece una opción rápida, sencilla, reversible y rescatable, aunque aún no económica, en situaciones muy diversas y la consideraría en muchos escenarios de primera elección.

Creo que el implante subperióstico tendrá un papel importante y cada vez mayor en tratamiento de atrofias y en rescate de procedimientos implantológicos previos. Europa lidera el mercado con más del 40% del volumen de negocio a nivel mundial; solo en 2024 Europa generó 226 millones de dólares. Se estima que hasta 2032 existirá un crecimiento anual de negocio superior al 6% y muchísimo más alto en nuestro país si continua la tendencia tan creciente. No obstante, opino que -como comenté antes- el implante es altamente dependiente de habilidades de conocimiento individuales, por lo que si popularizamos la técnica sin formación adecuada las complicaciones serán frecuentes, no inherentes al implante en sí pero sí llevarán a que se abandone por el uso de manera inexperta. Los retos de investigación son múltiples porque queda por definir la superficie ideal, la versatilidad de las conexiones protésicas, la biomecánica en el implante original y modificado, el comportamiento a medio-largo plazo o el manejo de prótesis y muchos otros. Como hay tantos sistemas habría que investigar cada uno de ellos por separado y llegar a conclusiones claras. Igual que en implantes convencionales hay diseños y materiales abandonados, ya existe conocimiento para saber qué y qué no debe incorporar un subperióstico.

En formación, a nadie se le ocurre dar un curso de implantes o de cigomáticos si no has acumulado experiencia –tratando, por dar un ejemplo, 20 o 30 pacientes- con la que ayudar a tus compañeros, pero en subperiósticos sí asistimos a ello. Sin duda, recomendamos formación específica, continuada e idealmente con acreditación universitaria reglada por grupos de alta experiencia clínica y de investigación. 

de revisión

EL CONOCIMIENTO SOBRE

LA ASOCIACIÓN ENTRE

PERIODONTITIS

Y ENFERMEDADES SISTÉMICAS, ¿YA MEJORA LA VIDA DE NUESTROS PACIENTES?

La consulta dental es un centro de promoción de la salud a nivel oral, pero con unas grandes posibilidades para la prevención de enfermedades sistémicas tan importantes como la diabetes o la hipertensión arterial, entre otras, y para el abordaje de factores de riesgo global muy relevantes como el tabaco. El hecho de que un porcentaje elevado de la población acuda a la consulta dental de forma periódica es una oportunidad para llevar a cabo medidas de cribado de estas enfermedades, muy simples y nada costosas. En este sentido, la concienciación de las autoridades sanitarias, de los profesionales de la medicina y la odontología, así como de la población general, es muy relevante para conseguir estas acciones preventivas tan importantes. El objetivo de este nuevo artículo es evaluar si realmente se ha pasado a la acción, para beneficiar a los pacientes y a la población en general, desde los conocimientos desarrollados y, si es así, entender, con algunos ejemplos, los avances realizados.

Contacto: Miguel Carasol mcarasol@gmail.com

Introducción

El número 8 de la revista Periodoncia Clínica , de la Sociedad Española de Periodoncia (SEPA), publicado en 2017, tuvo como título “Salud periodontal y salud general: los beneficios sistémicos de la salud periodontal”, y los directores invitados fueron Phoebus Madianos y David Herrera, bajo la supervisión del director de la revista, Ion Zabalegui, y el director asociado de ese número, Jorge Serrano. Han pasado casi diez años y se ha decidido preparar un nuevo número sobre la asociación entre salud periodontal y salud general, contando con profesionales nacionales e internacionales del máximo prestigio en sus áreas. Y, quizá, merece la pena comenzar este nuevo monográfico donde terminaba el monográfico de 2017, cuyo artículo de conclusiones se titulaba “Los beneficios de la salud periodontal: más allá de la salud oral ” o, como decía la versión en inglés, “The benefits of periodontal health: oral health and beyond...”.

Aquel trabajo pretendió “presentar los datos epidemiológicos, describir los mecanismos biológicos subyacentes y, lo que es más importante, valorar los beneficios que cabe esperar derivados de la salud/el tratamiento periodontal sobre la patología sistémica específica de sus especialidades”, y participó un grupo de investigadores internacionales muy prestigioso:

 van Winkelhoff, Abbas y Siebers, de Ámsterdam y Groningen (Países Bajos), revisando las infecciones extraorales de origen oral (van Winkelhoff y cols. 2017).

 Barros, Aoyama, Moy y Offenbacher, de Carolina del Norte (Chapel Hill, EE. UU.), sobre resultados adversos del embarazo (Barros y cols. 2017).

 Montero, Madianos y Herrera, de la Universidad Complutense de Madrid (España) y de Atenas (Grecia), sobre diabetes (Montero y cols. 2017).

 Orlandi y D’Aiuto, del University College of London (Reino Unido), en el tema de enfermedades cardiovasculares (Orlandi y D’Aiuto 2017).

 Loos, de ACTA en Ámsterdam (Países Bajos), sobre disfunción eréctil (Loos 2017).

Artículo cedido por

 West, Shoemark, Davies y Allen-Birt, de Bristol (Reino Unido), en la enfermedad de Alzheimer (West y cols. 2017).

 López-Oliva, De Pablo, Chapple, Dietrich y Grant, de Birmingham (Reino Unido), con la artritis reumatoide (López-Oliva y cols. 2017).

 Graziani, Bettini y Petrini, de Pisa (Italia), sobre calidad de vida (Graziani y cols. 2017).

La conclusión global, analizados los datos de los ocho trabajos de revisión, fue que había “llegado el momento de pasar a la acción”. Y se indicaba que “es obligatorio utilizar la información disponible en beneficio de nuestros pacientes y de la población general. No es una tarea sencilla, pero su impacto potencial en la salud pública justifica el esfuerzo”. Para ello, se exponían algunos ejemplos de qué acciones podrían llevarse a cabo:

 Concienciar a toda la población, incluyendo todos los profesionales sanitarios, autoridades sanitarias, pacientes y población general.

 Reforzar el mensaje a los profesionales de la odontología, expandiendo el papel del dentista más allá del mantenimiento de la salud dental y oral. Por ejemplo, interviniendo en la detección precoz de patologías sistémicas o del riesgo de sufrirlas.

 Que los dentistas asuman un papel activo en el control de los factores de riesgo modificables asociados al estilo de vida, por ejemplo, en el control del tabaquismo.

El objetivo de este nuevo artículo es evaluar si realmente se ha pasado a la acción, para beneficiar a los pacientes y a la población en general, desde los conocimientos desarrollados y, si es así, entender, con algunos ejemplos, los avances realizados. Para ello, la presentación se estructura en tres secciones, siguiendo el esquema de acciones propuestas en el párrafo previo: concienciación, detección precoz, y control de factores de riesgo.

Concienciación

1. Concienciación de la población

En las últimas décadas se ha estudiado la asociación de la periodontitis con numerosas enfermedades o condiciones sistémicas (Monsarrat y cols. 2016) y, para algunas de ellas, como la diabetes mellitus, la patología cardiovascular aterosclerótica, la enfermedad pulmonar obstructiva crónica (EPOC) y determinados tipos de neumonía, se han establecido asociaciones estadísticamente significativas y clínicamente relevantes (Herrera y cols. 2023, 2024;

SEPA-DM

Sanz y cols. 2018a, 2018b; Sanz y cols. 2020a; Sanz y cols. 2020b). En esos casos, una estrategia adecuada para controlar los efectos nocivos de la asociación sería trabajar en la detección temprana y en la prevención de las enfermedades periodontales, especialmente de la periodontitis. Para ello, se han propuesto las siguientes recomendaciones (Economist Intelligence Unit 2021).

1.1. La prevención, el diagnóstico y el tratamiento de la periodontitis son rentables

El análisis económico del estudio mencionado (Economist Intelligence Unit 2021) demostró la importancia de la educación y motivación de la población para la prevención de la gingivitis a nivel domiciliario, así como de acudir al dentista para conseguir que el diagnóstico de gingivitis y periodontitis sea cada vez más precoz y, por tanto, el tratamiento de todos los pacientes diagnosticados sea más sencillo y menos costoso. Estas medidas tienen un retorno de la inversión positivo en todos los países europeos analizados.

1.2. Es necesaria una mejor integración de la atención dental y general

La integración de la atención bucodental y general es un aspecto muy importante, pero está en fases muy iniciales, al menos en España. Aunque la experiencia reciente muestra que hay un interés común en salvar estas barreras entre la medicina y la odontología, la evolución es lenta; lo cierto es que el ejercicio público de la medicina y privado de la odontología impiden una conexión eficiente, sobre todo a nivel de compartir datos, además de las diferencias económicas públicas/privadas para el paciente a la hora

Grupo de Investigación ETEP (Etiología y Terapéutica de las Enfermedades Periodontales y Periimplantarias), Universidad Complutense de Madrid. Coordinador de Alianza por la Salud Periodontal y General, Sociedad Española de Periodoncia (SEPA).

Grupo de Investigación ETEP (Etiología y Terapéutica de las Enfermedades Periodontales y Periimplantarias), Universidad Complutense de Madrid.

Miguel Carasol
David Herrera
Pexels

artículo de revisión

de acceder al cuidado sanitario que exigen estas asociaciones patológicas. En todo caso, las recomendaciones de la Organización Mundial de la Salud (OMS) para conseguir integrar la atención odontológica en la Atención Primaria de los sistemas nacionales de salud y con cobertura universal se han asumido por más de 100 países, incluido España, de cara a 2030 (World Health Organization 2024b).

1.3. Importancia de las campañas de salud pública, tanto sociales como individuales

La prevención a nivel de salud pública es fundamental para el control de la periodontitis, ya que es una enfermedad con alta prevalencia, sobre todo en zonas desfavorecidas. La prevención a nivel individual debe basarse en la intervención temprana en entornos comunitarios como escuelas (para la prevención de la gingivitis) y centros de salud (para la prevención de enfermedades periodontales). Es muy importante la concienciación de las autoridades sanitarias en este sentido, incluyendo además medidas para la prevención de la caries y del cáncer oral, entre otras.

1.4. Mejorar el acceso a la atención bucodental En España, la prevalencia de la periodontitis disminuyó entre 1993 y 2000, pero desde entonces se ha mantenido prácticamente estable (Bravo Pérez y cols. 2020), a pesar de que desde 1997, mientras que la población española creció un 2,5%, el número de

dentistas se ha incrementado un 136% (Council of European Dentists 2015). Es esencial el hecho de que el coste de acceder a un dentista es un obstáculo para la población general, por lo que las personas no suelen acudir para revisiones o tratamientos preventivos, esenciales para evitar o mitigar la periodontitis. En países como España, la mayoría o la totalidad del tratamiento de la periodontitis se paga de forma privada o a través de un seguro privado. Al ser evidente que la periodontitis tratada es rentable, es esencial una revisión de esta situación por parte de los responsables políticos y los comisionados de toda Europa, como demuestra el estudio aludido (Economist Intelligence Unit 2021).

2. Concienciación de las autoridades sanitarias Como se ha mencionado, la OMS ha propuesto la integración de la atención odontológica en la Atención Primaria dentro de los sistemas nacionales de salud, acompañada de cobertura universal (World Health Organization 2024b). Las recomendaciones de la OMS buscan apoyar a los países que se han sumado al proyecto, para tratar de adaptar las políticas mundiales de salud bucodental. El plan de la OMS incluye hasta 100 medidas y 11 objetivos para mejorar la salud bucodental, teniendo muy clara una filosofía basada en garantizar la equidad en el acceso a la salud bucodental y siempre entendiendo que no puede haber salud general sin salud bucodental. Estas recomendaciones siguen las recomendaciones sobre salud oral ya acordadas en la Asamblea General de la OMS en 2021 (World Health Organization 2021) y las relacionadas con la consideración para enfermedades bucodentales dentro de la importante categoría de enfermedades crónicas no transmisibles (World Health Organization 2022), que son estratégicas para la OMS.

El seguimiento de estas acciones incluye la reciente Declaración de Bangkok (World Health Organization 2024a), cuyo lema no deja lugar a dudas: “No Health Without Oral Health”, no hay salud sin salud oral. Y se hace un muy interesante sumario de acciones para obtener la influencia política suficiente para revertir la falta de acceso a la atención bucodental desde aspectos tan importantes como la inequidad, la carga de enfermedad o las enfermedades crónicas no transmisibles.

Más específicamente dentro del mundo de la periodoncia, ha resultado crucial la publicación de los resultados del proyecto de Libro verde (Tonetti y cols. 2017), liderado por Maurizio Tonetti y avalado

por las asociaciones de periodoncia más importantes del mundo: Federación Europea de Periodoncia, Academia Americana de Periodoncia, Federación Iberopanamericana de Periodoncia, Sociedad Asia-Pacífico de Periodoncia, entre otras. El título deja claro el objetivo del proyecto: una llamada global a la acción, basada en el impacto de la carga global de las enfermedades periodontales y su impacto sobre la salud, nutrición y bienestar. Se destaca, además, el papel que el enfoque de control común de factores de riesgo podría tener en la reducción de la incidencia de las enfermedades crónicas no transmisibles.

3. Concienciación de los profesionales de la salud

En la conciencia de los profesionales de la salud, tanto dentro como fuera de la odontología, se pueden destacar las reuniones de expertos, organizadas por la Federación Europea de Periodoncia conjuntamente con asociaciones del ámbito de la medicina.

La primera de ellas, para explorar la asociación entre diabetes y periodontitis, se organizó conjuntamente con la International Diabetes Federation (IDF) en 2017, reuniendo en Madrid a periodoncistas y endocrinólogos de toda Europa. Como resultado, se preparó un documento de consenso que fue publicado de manera paralela en el Journal of Clinical Periodontology (Sanz y cols. 2018b) y en Diabetes Research & Clinical Practice (Sanz y cols. 2018a). Además, se realizó una importante campaña de comunicación para divulgar los resultados (<https://www.efp.org/for-patients/gum-disease-general-health/perio-diabetes/>), accesible tanto para profesionales como para autoridades sanitarias, pacientes o público general.

La segunda, que evaluó la asociación entre enfermedades cardiovasculares y periodontitis, incluyó a la World Heart Federation (WHF) y tuvo lugar en 2019, con publicaciones tanto en el Journal of Clinical Periodontology (Sanz y cols. 2020b) como en Global Heart (Sanz y cols. 2020a). Y, por supuesto, con una intensa campaña de comunicación asociada (<https://www.efp.org/for-patients/gum-disease-general-health/perio-cardio/>).

En los dos primeros focused workshops, con endocrinólogos y cardiólogos, se hizo énfasis en entender que los especialistas atendían a una proporción pequeña de la población y que, para que los mensajes fueran efectivos, deberían trasladarse a los médicos de familia. Por ello, en 2022, se organizó una reunión

de manera conjunta con la sección europea (WONCA Europe) de la organización de médicos de familia más importante del mundo (WONCA World, World Organization of National Colleges, Academies and Academic Associations of General Practitioners/Family Physicians), y los resultados se publicaron en el Journal of Clinical Periodontology (Herrera y cols. 2023) y en el European Journal of General Practice (Herrera y cols. 2024). Los trabajos se centraron en la asociación de periodontitis con diabetes, enfermedades cardiovasculares y enfermedades respiratorias y, de nuevo, se desarrollaron sugerencias para pacientes, profesionales médicos y odontológicos y autoridades sanitarias, y se preparó una campaña de comunicación a nivel europeo (<https:// www. efp.org/for-patients/gum-disease-general-health/ perio-family-doctors/>).

Detección precoz de patología sistémica Más allá del cuidado de la salud bucodental del paciente y del conocimiento de las asociaciones entre la periodontitis y determinadas enfermedades generales, el papel del dentista se está ampliando mediante el cribado de patología sistémica desconocida por el paciente que la padece, aprovechando que un porcentaje importante de la población acude a consulta o revisiones odontológicas y que, por otro lado, no suelen visitar a sus médicos de Atención

Primaria o especialistas porque creen encontrarse bien, sobre todo en las edades medias de la vida. A modo de ilustración, se resumen tres proyectos desarrollados en España por la Sociedad Española de Periodoncia (SEPA) en colaboración con el grupo de investigación ETEP (Etiología y Terapéutica de las Enfermedades Periodontales y Periimplantarias) de la Universidad Complutense de Madrid.

1. DiabetRisk

Fue realizado sobre 1143 pacientes en la red de investigación de clínicas de SEPA (Montero y cols. 2021). Los participantes completaron el cuestionario FINDRISC, que consideraba la probabilidad de padecer diabetes mellitus en los próximos diez años (Lindstrom y Tuomilehto 2003), y se sometieron a un examen periodontal, primero de cribaje (examen periodontal básico) y, si era preciso, con periodontograma completo. Los pacientes con una puntuación ligeramente elevada en el FINDRISC (≥7) se sometieron a una medición de hemoglobina glicada (HbA1c) y fueron derivados a su médico para un diagnóstico confirmatorio. Los resultados indicaron que 97 (8,5%)

artículo de revisión

individuos fueron finalmente diagnosticados de diabetes (n = 28; 2,5%) o prediabetes (n = 69; 6,0%). Por tanto, este protocolo demostró ser realizable en una consulta dental y fue eficiente para identificar sujetos con diabetes no diagnosticada o prediabetes.

2. CardioRisk

Actualmente en desarrollo por los doctores González Gallego, Solá, Abuelo, Lorente, Montero y cols., este estudio observacional y transversal está diseñado para evaluar la asociación entre el estado periodontal y el riesgo cardiometabólico mediante un protocolo para la detección temprana del riesgo cardiovascular y/o prediabetes/diabetes mellitus en el consultorio odontológico. El estudio incluyó 283 pacientes que acudieron a la Clínica del Programa de Posgrado en Periodoncia de la Universidad Complutense de Madrid o a una consulta privada (CLAS Center) en busca de tratamiento periodontal. A todos ellos se les realizó la prueba FINDRISC (Lindstrom y Tuomilehto 2003). Se determinaron variables cardiometabólicas (presión arterial, HbA1c, colesterol total, índice de masa corporal y perímetro abdominal), así como el algoritmo SCORE (Conroy y cols. 2003) y el examen periodontal básico (EPB) y periodontograma completo cuando el EPB era ≥3. Los resultados iniciales muestran que el 2,5% de los pacientes tenían un riesgo muy alto de muerte por causas cardiovasculares en los próximos diez años, el 9,4% de los pacientes tenían niveles de HbA1c compatibles con diabetes mellitus tipo II (≥6,5%), y el 41,3% padecían hipertensión arterial. Además, se concluyó que había una asociación entre un peor estado periodontal y la mala salud cardiometabólica. Por tanto, este estudio avala el uso de protocolos factibles y mínimamente invasivos como herramientas de cribado de riesgo cardiometabólico en la consulta dental, lo que constituiría un beneficio a nivel de salud pública.

3. Promosalud: protocolo para la evaluación del riesgo de sufrir hipertensión arterial y diabetes no conocidas en pacientes en clínicas dentales Este es un ejemplo claro de “pasar a la acción”. Promosalud es un protocolo diseñado y dirigido por uno de los autores de esta revisión (MCC), que pretende ser implantado en el mayor número posible de consultas dentales de España y, en una segunda fase, en varios países del extranjero. Dicho proyecto está avalado por las diferentes sociedades médicas españolas (Sociedad Española de Diabetes [SED], Sociedad

Española de Cardiología [SEC], Sociedad Española de Hipertensión [SEH]) y cuenta con el apoyo del Consejo General de Dentistas de España y de Colegios Profesionales de Odontoestomatólogos de España. Los datos sobre hipertensión arterial (HTA) en España se han publicado recientemente (Banegas y cols. 2024). Aproximadamente 46.000 muertes cardiovasculares al año son atribuibles a la HTA. La prevalencia de HTA en personas de 30-79 años es del 32,9%, lo que, utilizando datos del Instituto Nacional de Estadística, corresponde a casi 10 millones de personas (Ministerio de Sanidad 2023). La cobertura diagnóstica de la HTA (hipertensos conocedores de su diagnóstico) es del 68,5% (6,8 millones). En conjunto, un 31,5% de hipertensos no están diagnosticados, el 11,1% no están tratados y el 24,6% de los tratados no están controlados. En España, la diabetes mellitus tipo II afecta a uno de cada siete adultos, siendo la segunda tasa más alta de Europa. Las estimaciones del estudio Di@bet. es hablan de una prevalencia de alrededor del 13,8% de la población adulta (5.301.314 personas), incluido un 30,3% de las personas que viven con diabetes y que permanecen sin diagnosticar (2.304.919 personas), lo que representa un 6% de la población con diabetes (Soriguer y cols. 2012).

A todo lo anterior hay que sumar que las clínicas dentales son centros sanitarios por los que pasan un gran número de personas. En 2021, el 55% de la población de 20 a 74 años acudió al dentista en España. Es un hecho resaltable que en España existen más de 23.000 consultas dentales, todas ellas susceptibles de participar en un proyecto de cribado de estas características (Consejo General de Dentistas de España 2022). Más aún, actualmente participan más de 1800 consultas dentales en Promosalud, aportando un número creciente de pacientes al cribado de estos dos grupos de enfermedades. Tanto el riesgo de padecer diabetes mellitus en los próximos diez años como la posibilidad de padecer hiper-

tensión arterial sin saberlo se determinan de forma rápida y sencilla mediante la prueba, ya mencionada en la sección 3.1., FINDRISC (Lindstrom y Tuomilehto 2003), y el registro de la presión arterial según los protocolos dictados por la Asociación Internacional de Hipertensión (Unger y cols. 2020).

Al ser un cribado, los pacientes con resultados susceptibles de padecer estas patologías son remitidos con un informe a su médico de Atención Primaria, para que realice el diagnóstico adecuado y los transmita a la clínica dental para su incorporación en la historia clínica.

Los resultados preliminares sobre cerca de 1000 pacientes muestran que el 37,2% de la muestra presenta cifras de presión arterial elevada (TAS ≥ 140 mmHg; TAD ≥ 90 mmHg) (Unger y cols. 2020) que deben ser contrastadas por sus médicos. A nivel de riesgo de diabetes, el 37,5% presentan puntuaciones de FINDRISC ≥12 (riesgo moderado, alto o muy alto) (Lindstrom y Tuomilehto 2003). Estos datos iniciales son compatibles con las cifras de pacientes que desconocen a nivel nacional padecer diabetes y/o hipertensión arterial.

Mediante este protocolo tan sencillo se puede hacer posible aflorar, con años de anticipación, enfermedades muy relevantes por su morbimortalidad, lo que implica que las consultas pueden salvar vidas de sus pacientes, constituyendo un importante paso a la acción.

El tabaquismo como factor de riesgo oral y sistémico

El consumo de tabaco es responsable de unos 9 millones de muertes al año en todo el mundo (aproximadamente el 15% de todas las muertes a nivel mundial) y es, junto a la tensión arterial sistólica, el factor de riesgo que más contribuye a la mortalidad del ser humano (GBD 2019; Risk Factors Collaborators 2020). La asociación del tabaco con las enfermedades periodontales se conoce desde hace más de 150 años (Bergeron 1859). Desde entonces se han realizado múltiples estudios, algunos en grandes muestras de la población (Eke y cols. 2016) y varios longitudinales prospectivos, que han demostrado que el tabaquismo es un factor de riesgo muy importante para la pérdida de inserción periodontal y, por tanto, en la pérdida de dientes (Bergstrom y cols. 2000; Dietrich y cols. 2007).

De manera adicional, en los últimos años se han comercializado una cantidad creciente de productos del tabaco y/o nicotina, además de que el ac-

ceso a derivados del cannabis se ha facilitado en varias sociedades, lo que aumenta la exposición al tabaco y aflora el riesgo de patología respiratoria o cardiovascular, entre otras. Por tanto, para los periodoncistas y los profesionales de la odontología es importante conocer los efectos para la salud bucal y la general asociados con esta amplia gama de productos de tabaco y nicotina, así como con el cannabis (Chaffee y cols. 2021). Además de lo anterior, en la consulta dental no solo es seguro diagnosticar más y más grave patología periodontal entre los fumadores, sino que el éxito de los tratamientos periodontales y de implantología se puede reducir notablemente en este grupo de pacientes (Johnson y Guthmiller 2007). Por tanto, es muy importante realizar una correcta historia clínica, tener en cuenta posibles fracasos terapéuticos y advertir al paciente de la posibilidad de que se produzcan, lo que es relevante en varios aspectos, legales incluidos.

Más importante aún es avanzar en el diagnóstico precoz del cáncer de la cavidad oral y faringe, en gran número relacionados con el consumo de tabaco y/o alcohol. En España se estiman para 2025 7.446 casos nuevos de cáncer, de los cuales 5.221 afectarían a hombres y 2235 a mujeres (International Agency for Cancer Research 2024). Es responsabilidad directa de los profesionales dentales disminuir estas cifras en base al diagnóstico precoz de las lesiones que se presenten, sobre todo las precancerosas.

Con todas las consideraciones previas, es evidente que la consulta dental es un espacio adecuado para iniciar y evaluar la motivación del paciente para dejar de fumar, asesorándole y apoyándole en base a la evidencia científica. Para ello, existen muchos protocolos de cesación tabáquica en la literatura, con diferentes grados de eficacia (Lancaster y Stead 2005). SEPA ha desarrollado uno, adaptado a las particularidades de la consulta dental, que pretende una implantación del mismo de forma simple, pero eficaz, mediante sesiones breves, aprovechando que el paciente periodontal acude con regularidad a su tratamiento y revisiones (Izquierdo y cols. 2021).

Conclusiones

A lo largo de este artículo se han presentado una serie de iniciativas que pretenden llevar a la acción las implicaciones de las asociaciones entre enfermedades periodontales y sistémicas. No se ha tra-

artículo de revisión

PERIODONTITIS Y

tado de una evaluación exhaustiva, sino de ejemplos que puedan servir de referencia, centrados en tres bloques de intervenciones: concienciación, detección de riesgo de sufrir patología no diagnosticada, y control de factores de riesgo.

En la concienciación, se han discutido tres niveles, la poblacional, la institucional y la relativa a los profesionales sanitarios, cada una con sus ejemplos y con diferentes grados de avance.

En la detección de riesgo de sufrir patología no diagnosticada todavía en la clínica dental, se han explicado proyectos relativos a la diabetes (DiabetRisk y Promosalud), las enfermedades cardiovasculares (CardioRisk) o la hipertensión arterial (Promosalud).

En relación con el control de factores de riesgo, se ha explicado el posible papel de la clínica den-

Resumen

tal para controlar factores de riesgo (por ejemplo, tabaquismo), dentro del common risk factor approach, lo que ofrecería beneficios de salud bucodental, pero también en otras enfermedades crónicas no transmisibles.

Todo ello parece sugerir que se puede hacer mucho, pero, especialmente, que todavía hay mucho por hacer para un beneficio evidente de la salud, tanto a nivel local como sistémico. En este sentido, los profesionales de la consulta dental tienen un papel muy relevante al poder incluir en su práctica clínica odontológica medidas tan positivas y sencillas como el registro de la presión arterial, la valoración del riesgo de padecer prediabetes o diabetes, protocolos simples de cesación tabáquica, etc. 

En un breve periodo de tiempo se han analizado las asociaciones entre la periodontitis y determinadas enfermedades sistémicas del organismo mediante estudios epidemiológicos, biológicos y algunos de intervención. Pero actualmente el objetivo prioritario es pasar a la acción, aplicando en la práctica diaria todo lo aprendido en beneficio de nuestros pacientes y de la población general, con el impacto potencial en la salud pública que se obtiene de esta manera. Entre estas medidas se incluyen la concienciación a toda la población, general, profesional e institucional; el refuerzo del mensaje a los profesionales de la odontología, expandiendo su papel al cuidado sistémico de sus pacientes; y la participación de estos profesionales en el control de los factores de riesgo modificables asociados al estilo de vida, siendo el más relevante el tabaquismo. Por otro lado, se están desarrollando protocolos de cribado de enfermedades sistémicas en la consulta dental, que el paciente que acude desconoce padecer. La diabetes mellitus y la hipertensión arterial son dos ejemplos muy relevantes, estando su cribado incluido en proyectos tan relevantes como DiabetRisk, CardioRisk o Promosalud. Es un concepto de abordaje global del paciente en las consultas dentales, con el enorme potencial beneficioso que implica para los pacientes y los propios profesionales odontológicos y sus consultas.

RELEVANCIA CLÍNICA

La consulta dental es un centro de promoción de la salud a nivel oral, pero con unas grandes posibilidades para la prevención de enfermedades sistémicas tan importantes como la diabetes o la hipertensión arterial, entre otras, y para el abordaje de factores de riesgo global muy relevantes como el tabaco. El hecho de que un porcentaje elevado de la población acuda a la consulta dental de forma periódica es una oportunidad para llevar a cabo medidas de cribado de estas enfermedades, muy simples y nada costosas. En este sentido, la concienciación de las autoridades sanitarias, de los profesionales de la medicina y la odontología, así como de la población general, es muy relevante para conseguir estas acciones preventivas tan importantes.

IMPLICACIONES PARA LA INVESTIGACIÓN

Los conceptos aprendidos sobre la importante asociación entre la periodontitis y determinadas enfermedades sistémicas exigen ya el paso a la acción mediante el estudio del conocimiento, motivación y difusión de dichos conceptos en todos los estratos clínicos, poblacionales y gubernamentales de la sociedad. Por otro lado, incluir la prevención y cribado de enfermedades sistémicas tan importantes como la diabetes o la hipertensión arterial en las consultas dentales es un campo relativamente reciente, pero con unas posibilidades muy importantes para la salud global del individuo y de la población. El desarrollo de técnicas de cribado cada vez más sencillas y eficaces es muy importante para poder incluir estos protocolos de forma rutinaria en las consultas dentales, con las ventajas que esto comporta.

Bibliografía

- Banegas JR, Sánchez-Martínez M, Gijón-Conde T, LópezGarcía E, Graciani A, Guallar-Castillón P, García-Puig J, Rodríguez-Artalejo F. (2024) Numerical values and impact of hypertension in Spain. Revista Española de Cardiología 77, 767-778.

- Barros SP, Aoyama N, Moy SS, Offenbacher S. (2017) The role of maternal periodontal disease in perinatal complications. Periodoncia Clínica 8, 22-31.

- Bergeron EJ. (1859) De la Stomatite ulcéreuse des soldats et de son identité avec la stomatite des enfants, dite couenneuse, diphthéritique, ulcéro-membraneuse. París: Labé.

- Bergstrom J, Eliasson S, Dock J. (2000) A 10-year prospective study of tobacco smoking and periodontal health. Journal of Periodontology 71, 1338-1347.

- Bravo Pérez M, Almerich Silla J, Canorea Díaz E, Casals Peidró E, Cortés Martinicorena F, Expósito Delgado A, Gómez Santos G, Hidalgo Olivares G, Lamas Oliveira M, Martínez Beneyto Y, Monge Tàpies M, Montiel Company J, Navarro Moreno M, Otero Casal M, Sainz Rui, C, Trullols Casas M. (2020) Encuesta de Salud Oral en España 2020. Revista del Ilustre Consejo General de Colegios de Odontólogos y Estomatólogos de España 25

- Chaffee BW, Couch ET, Vora MV, Holliday RS. (2021) Oral and periodontal implications of tobacco and nicotine products. Periodontology 2000 87, 241-253.

- Conroy RM, Pyorala K, Fitzgerald AP, Sans S, Menotti A, De Backer G, De Bacquer D, Ducimetiere P, Jousilahti P, Keil U, Njolstad I, Oganov RG, Thomsen T, Tunstall- Pedoe H, Tverdal A, Wedel H, Whincup P, Wilhelmsen L, Graham IM & group S. p. (2003) Estimation of ten-year risk of fatal cardiovascular disease in Europe: the SCORE project. European Heart Journal 24, 987-1003.

- Consejo General de Dentistas de España. (2022) Los dentistas en España: análisis de situación. https:// tinyurl. com/275jwvvz.

- Council of European Dentists. (2015) Manual of Dental Practice 2015 (ed. 5.1). https://www.omd.pt/content/ uploads/2017/12/ced-manual-2015-completo.pdf.

- Dietrich T, Maserejia, NN, Joshipura KJ, Krall EA, Garcia RI. (2007) Tobacco use and incidence of tooth loss among US male health professionals. Journal of Dental Research 86 373-377.

- Economist Intelligence Unit. (2021) Time to take gum disease seriously. The societal and economic impact of periodontitis. https://impact.economist.com/ perspectives/ sites/default/files/eiu-efp-oralb-gum-disease.pdf

- Eke PI, Wei L, Thornton-Evans GO, Borrell LN, Borgnakke WS, Dye B, Genco RJ. (2016) Risk indicators for periodontitis in US adults: NHANES 2009 to 2012. Journal of Periodontology 87, 1174-1185.

- GBD 2019 Risk Factors Collaborators. (2020) Global burden of 87 risk factors in 204 countries and territories, 1990-2019: A systematic analysis for the Global Burden of Disease Study 2019. Lancet 396, 1223-1249.

- Graziani F, Bettini L, Petrini M. (2017) The systemic benefits of periodontal health: Quality of life. Periodoncia Clínica 8, 98-109.

- Herrera D, Sanz M, Shapira L, Brotons C, Chapple I, Frese T, Graziani F, Hobbs FDR, Huck O, Hummers E, Jepsen S, Kravtchenko O, Madianos P, Molina A, Ungan M, Vilaseca J, Windak A, Vinker S. (2023) Association between periodontal diseases and cardiovascular diseases, diabetes and respiratory diseases: Consensus report of the Joint Workshop by the European Federation of Periodontology (EFP) and the European arm of the World Organization of Family Doctors (WONCA Europe). Journal of Clinical Periodontology 50, 819-841.

- Herrera D, Sanz M, Shapira L, Brotons C, Chapple I, Frese T, Graziani F, Hobbs FDR, Huck O, Hummers E, Jepsen S, Kravtchenko O, Madianos P, Molina A, Ungan M, Vilaseca J, Windak A, Vinker S. (2024) Periodontal diseases and cardiovascular diseases, diabetes, and respiratory diseases: Summary of the consensus report by the European Federation of Periodontology and WONCA Europe. European Journal of General Practice 30, artículo 2320120.

- Bray F, Colombet M, Aitken JF, Bardot A, Eser S, Galceran J, Hagenimana M, Matsuda T, Mery L, Piñeros M, Soerjomataram I, de Vries E, Wiggins C, Won YJ, Znaor A, Ferlay J, editores. (2024) Cancer Incidence in Five Continents, vol XII. Lyon: International Agency for Cancer Research.

- Izquierdo R, Dalmau R, Jiménez X, López Durán A, Carasol M. (2021). Protocolo de cesación tabáquica en la consulta dental. Grupo de trabajo de la SEPA y el Comité Nacional para la Prevención del Tabaquismo (CNPT). https://tinyurl.com/23t3kf2v

- Johnson GK, Guthmiller JM. (2007) The impact of cigarette smoking on periodontal disease and treatment. Periodontology 2000 44, 178-194.

- Lancaster T, Stead LF. (2005) Individual behavioural counselling for smoking cessation. The Cochrane Database of Systematic Reviews 3, CD001292.

- Lindstrom J, Tuomilehto J. (2003) The diabetes risk score: a practical tool to predict type 2 diabetes risk. Diabetes Care 26, 725-731.

- Loos B. (2017) The link between periodontitis and erectile dysfunction (vasculogenic impotence). Periodoncia Clínica 8, 60-67.

- López-Oliva I, de Pablo P, Chapple I, Dietrich T, Grant M. (2017) Periodontitis and rheumatoid arthritis. Periodoncia Clínica 8, 88-95.

- Ministerio de Sanidad. (2023) Patrones de mortalidad en España, 2020. Madrid: Ministerio de Sanidad. https://tinyurl.com/2d6548zp

- Monsarrat P, Blaizot A, Kemoun P, Ravaud P, Nabet C, Sixou M, Vergnes JN. (2016) Clinical research activity in periodontal medicine: A systematic mapping of trial registers. Journal of Clinical Periodontology 43, 390-400.

- Montero E, Madianos P, Herrera D. (2017) Diabetes and periodontal diseases: the bidirectional association and its implications. Periodoncia Clínica 8, 34-49.

- Montero E, Matesanz P, Nobili A, Luis Herrera-Pombo J, Sanz M, Guerrero A, Bujaldon A, Herrera D, Sepa Research Network of Dental Clinics. (2021) Screening of undiagnosed hyperglycaemia in the dental setting: The DiabetRisk study. A field trial. Journal of Clinical Periodontology 48, 378-388.

- Orlandi M, D’Aiuto F. (2017). Periodontitis and cardiovascular diseases. Periodoncia Clínica 8, 50-59.

- Sanz M, Ceriello A, Buysschaert M, Chapple I, Demmer RT, Graziani F, Herrera D, Jepsen S, Lione L, Madianos P, Mathur M, Montanya E, Shapira L, Tonetti M, Vegh D. (2018) Scientific evidence on the links between periodontal diseases and diabetes: Consensus report and guidelines of the joint workshop on periodontal diseases and diabetes by the International diabetes Federation and the European Federation of Periodontology. Diabetes Research and Clinical Practice 137, 231-241.

- Sanz M, del Castillo AM, Jepsen S, González-Juanatey JR, D‘Aiuto F, Bouchard P, Chapple I, Dietrich T, Gotsman I, Graziani F, Herrera D, Loos B, Madianos P, Michel JB, Perel P, Pieske B, Shapira L, Shechter M, Tonetti M, Vlachopoulos C, Wimmer G. (2020a) Periodontitis and cardiovascular diseases. Consensus Report. Journal of clinical periodontology 47, 268-288.

- Soriguer F, Goday A, Bosch-Comas A, Bordiu E, Calle-Pascual A, Carmena R, Casamitjana R, Castano L, Castell C, Catalá M, Delgado E, Franch J, Gaztambide S, Girbes J, Gomis R, Gutiérrez G, López-Alba A, Martínez-Larrad MT, Menéndez E, Mora-Peces I, Ortega E, Pascual-Manich G, Rojo-Martínez G, Serrano-Ríos M, Valdés S, Vázquez JA, Vendrell J. (2012) Prevalence of diabetes mellitus and impaired glucose regulation in Spain: The Di@bet.es Study. Diabetologia 55, 88-93.

- Tonetti MS, Jepsen S, Jin L, Otomo-Corgel J. (2017) Impact of the global burden of periodontal diseases on health, nutrition and wellbeing of mankind: A call for global action. Journal of Clinical Periodontology 44, 456-462.

- Unger T, Borghi C, Charchar F, Khan NA, Poulter NR, Prabhakaran D, Ramírez A, Schlaich M, Stergiou GS, Tomaszewski M, Wainford RD, Williams B, Schutte AE. (2020) 2020 International Society of Hypertension global hypertension practice guidelines. Journal of Hypertension 38, 9821004.

- Van Winkelhoff AJ, Abbas F, Siebers TJH. (2017) Extraoral infections by oral pathogens. Periodoncia Clínica 8, 10-19.

- West NX, Shoemark DK, Davies M, Allen-Birt S. (2017) Associations between periodontal disease and Alzheimer’s disease: Can brushing your teeth affect Alzheimer’s disease? Periodoncia Clínica 8, 72-85.

- World Health Organization. (2021) Proposed resolution on Oral Health. https://apps.who.int/gb/ebwha/pdf_files/EB148/B148_R1-en.pdf

- World Health Organization. (2022) Follow-up to the political declaration of the third high-level meeting of the General Assembly on the prevention and control of non-communicable disease. https://apps. who.int/gb/ebwha/pdf_files/WHA75/A75_10Add1-en.pdf

- World Health Organization. (2024a) Bangkok Declaration. No Health Without Oral Health. https://cdn.who. int/media/docs/default-source/ncds/mnd/oral-health/ bangkok-declaration-oral-health.pdf?sfvrsn=15957742_4

- World Health Organization. (2024b) Global strategy and action plan on oral health 2023–2030. https://iris. who.int/bitstream/handle/10665/376623/978924009 0538-eng.pdf

VITIS ANTI-STAIN: LAS TINCIONES

DENTALES

DURANTE LOS TRATAMIENTOS CON CLORHEXIDINA

YA NO SUPONEN UN PROBLEMA

En el panorama actual de la odontología, pocos dilemas producen más quebraderos de cabeza para los profesionales que el uso de clorhexidina. Este antiséptico, considerado el más eficaz en el control de placa bacteriana y prevención de infecciones, se ha enfrentado históricamente a un obstáculo aparentemente insuperable como es la aparición de manchas dentales que comprometen la estética de los pacientes y, en consecuencia, su adherencia al tratamiento.

Estudios recientes revelan que hasta un 60% de las personas interrumpe su tratamiento con clorhexidina debido a problemas estéticos como las manchas dentales i. Cuando un paciente abandona prematuramente su tratamiento debido a estas manchas, está poniendo en riesgo el éxito de su proceso de cicatrización y exponiéndose a una alta predisposición a una infección.

El fenómeno de las manchas asociadas a la clorhexidina presenta una complejidad que va más allá de lo

que inicialmente podría parecer un efecto secundario menor. La interacción de la clorhexidina con alimentos y bebidas cotidianas, como el café, el vino o el té, crea un escenario donde el paciente se ve obligado a elegir entre mantener sus hábitos alimentarios normales o preservar la apariencia de sus dientes.

Esta dicotomía se intensifica en tratamientos prolongados, donde la acumulación progresiva de pigmentación puede provocar una inseguridad para las personas en tratamiento con clorhexidina. Este factor explica por qué una proporción tan significativa de pacientes decide abandonarlo de manera temprana, comprometiendo su salud bucal y, en consecuencia, su bienestar general.

Un enfoque revolucionario

El trabajo desarrollado por profesionales del Dentaid Research Center ha marcado un antes y un después en este asunto, ofreciendo por primera vez una solución con base científica que aborda

el problema desde su origen. Vitis anti-stain pasta dentífrica es una fórmula innovadora específicamente diseñada para resolver la incompatibilidad entre la eficacia antiséptica de la clorhexidina y la estética de la boca de los pacientes durante su uso. El enfoque revolucionario de esta formulación radica en su capacidad de actuar preventivamente, creando un escudo protector que impide la aparición de las manchas en lugar de intentar revertirlas una vez formadas. Esta filosofía preventiva cambia completamente el paradigma del tratamiento, permitiendo que los pacientes mantengan su estilo de vida habitual sin temor a las consecuencias estéticas que hasta ahora han motivado el abandono prematuro de los tratamientos.

Tecnología dual de protección avanzada La innovación de Vitis anti-stain se fundamenta en un sistema de protección dual que opera en múltiples niveles. El componente de doble fosfato genera una barrera invisible pero efectiva sobre la superficie del esmalte, modificando sus propiedades de adhesión de manera que las moléculas causantes de tinción simplemente no pueden establecer enlaces estables con la estructura dental.

Complementariamente, la polivinilpirrolidona actúa como un interceptor molecular, capturando los agentes cromógenos antes de que puedan interactuar con la clorhexidina o adherirse al esmalte. Este mecanismo de “secuestro” molecular representa un avance significativo en la química de prevención de manchas, ya que neutraliza la amenaza en su origen en lugar de combatir sus efectos posteriores.

La incorporación estratégica de flúor completa esta fórmula de protección integral, asegurando que la prevención de manchas no comprometa la protección anticaries esencial. Esta combinación permite que Vitis anti-stain funcione como un dentífrico de uso diario completo, no como un producto especializado de uso limitado.

Resultados que transforman la práctica clínica

Los estudios in vitro realizados con Vitis anti-stain demuestran una alta eficacia en la reducción de la aparición de manchas ii, lo que representa la diferencia entre el éxito y el fracaso del tratamiento para los pacientes que anteriormente habrían abandonado su tratamiento con clorhexidina. Esta eficacia se traduce en beneficios tangibles y medibles para la práctica clínica:

 Mejorar la adherencia terapéutica, reduciendo el abandono por motivos estéticos y aumentando, por lo tanto, la efectividad del tratamiento.

 Ofrecer soluciones avaladas científicamente, que aumentan la satisfacción y confianza del paciente.

 Reducir la inversión de tiempo o la necesidad de intervenciones adicionales como profilaxis profesionales o tratamientos blanqueadores posteriores. Los odontólogos pueden ahora prescribir clorhexidina con la certeza de que están ofreciendo no solo la mejor opción terapéutica disponible, sino también una experiencia de tratamiento que cumple las expectativas estéticas de sus pacientes. Esta armonización entre necesidad médica y satisfacción personal representa un gran logro, considerando que las preocupaciones estéticas han sido históricamente responsables de la mayoría de las interrupciones en los tratamientos. 

i Estudio Hamilton Global Intelligence para Dentaid. Abril 2024. ii Gómez R, Àlvarez G, Bosch S, Longo A, Massoli A, Blanc V. In vitro evaluation of a new toothpaste formulation for the prevention and removal of stains caused by the use of antiseptics. Oral communication presented at: 22nd International Congress of the Italian Society of Periodontology and Implantology (SIdP); 2025 Mar 13–15; Rimini, Italy.

“LA CIRUGÍA GUIADA DINÁMICA

X-GUIDE® PERMITE

A

ODONTÓLOGOS

NOVELES COLOCAR IMPLANTES CON LA PRECISIÓN DE UN EXPERTO”

Dr. Rui Figueiredo, Profesor agregado de Cirugía Bucal - Universitat de Barcelona, y Dr. Octavi Camps Font, Profesor agregado de Periodoncia - Universitat de Barcelona

La Fundació Josep Finestres, entidad responsable de gestionar tanto el Máster de Cirugía Bucal e Implantología como el Hospital Odontológico de la Universitat de Barcelona, ha liderado un ensayo clínico con el sistema de navegación X-Guide®, destinado a mejorar la precisión en la colocación de implantes dentales por odontólogos con poca experiencia quirúrgica. Los resultados confirman una reducción significativa de las desviaciones y un impacto positivo tanto en la curva de aprendizaje del profesional como en la experiencia del paciente.

El Dr. Rui Figueiredo y el Dr. Octavi Camps Font.

 DM.- ¿Cómo surgió la idea de hacer este estudio con X-Guide® en la Fundació Josep Finestres?

¿Cuál fue la motivación principal?

Dr. Rui Figueiredo y Dr. Octavi Camps. La idea del estudio surgió a partir de una necesidad clínica concreta: mejorar la precisión en la colocación de implantes dentales por parte de odontólogos con poca experiencia quirúrgica. Esta inquietud se detectó en el marco de nuestra actividad docente, donde observamos que la técnica convencional a mano alzada presenta una variabilidad significativa en cuanto a precisión, lo que puede comprometer los resultados clínicos y aumentar el riesgo de complicaciones. Con el objetivo de ofrecer una solución a esta problemática, iniciamos una línea de investigación centrada en los sistemas de cirugía guiada dinámica (dCAIS), también conocidos como sistemas de navegación. Esta tecnología permite guiar al cirujano en tiempo real, mejorando su rendimiento quirúrgico y acelerando su curva de aprendizaje. Uno de nuestros primeros trabajos sobre este tema, publicado en 2019, ya demostró que estos sistemas podían reducir significativamente las diferencias entre profesionales con distintos niveles de experiencia. Sin embargo, aquel estudio in vitro se realizó con modelos de simulación, lo que limita la aplicabilidad de los resultados. Por ello, decidimos dar un paso más y validar esos hallazgos en un entorno clínico real, mediante un ensayo clínico aleatorizado con una muestra más amplia. Este proyecto ha sido posible gracias al entorno académico y clínico en el que trabajamos. La Fundació Josep Finestres, entidad responsable de gestionar tanto el Máster de Cirugía Bucal e Implantología como el Hospital Odontológico de la Universitat de Barcelona, ha desempeñado un papel clave en su desarrollo. Queremos expresar nuestro sincero agradecimiento al equipo de la Fundación por su implicación generosa en iniciativas científicas como esta, que suponen un esfuerzo adicional y que, lamentablemente, no siempre reciben el reconocimiento que merecen. En especial, agradecemos al Sr. Jordi Gonzalo, director general, por su apoyo decidido y su compromiso con la investigación. También queremos destacar la colaboración del profesorado clínico del Máster y de los coautores del artículo: el Dr. Victor Ruiz Romero, el Dr. Adrià Jorba Garcia, la Prof. Alba Sánchez Torres y el Prof. Eduard Valmaseda Castellón, director de nuestro equipo, cuya experiencia y dedicación han sido fundamentales para llevar a cabo este estudio.

 DM.- ¿Puede contarnos más sobre cómo se diseñó el estudio? ¿Cuántos cirujanos “inexpertos” participaron, cuántos implantes se colocaron y qué criterios se usaron para definir “inexperiencia”?

Dres. R.F-O.C. Realizamos un ensayo clínico aleatorizado, paralelo y abierto en el Hospital Odontológico de la Universitat de Barcelona. Participaron 60 pacientes y se colocaron 72 implantes: 36 con dCAIS X-Guide® y otros tantos a mano alzada. Las cirugías las llevaron a cabo 10 residentes de segundo año del Máster de Cirugía Bucal e Implantología, siempre bajo la supervisión de un experto. Se les consideró “inexpertos” porque no habían colocado implantes con anterioridad.

El sistema X-Guide® reduce hasta un 67 % la desviación angular y mejora notablemente la previsibilidad de los implantes ”

Rui Figueiredo

Profesor agregado de Cirugía Bucal - Universitat de Barcelona.

Investigador del IDIBELL. Coordinador del Máster de Cirugía Bucal e Implantología - Universitat de Barcelona.

Vicepresidente de la Sociedad Española de Cirugía Bucal.

Octavi Camps Font

Profesor agregado de Periodoncia - Universitat de Barcelona.

Investigador del IDIBELL. Director del Máster de Periodoncia y Periimplantología - Universitat de Barcelona.

entrevista

 DM.- ¿Cómo se han medido las desviaciones (lineales, angulares)? ¿Qué instrumentos o métodos se han utilizado para asegurar mediciones fiables?

Dres. R.F-O.C. La precisión se evaluó mediante la superposición de las imágenes de las tomografías computarizadas de haz cónico (TCHC o CBCT) preoperatorias (con la planificación virtual) y postoperatorias (con la posición final del implante). Utilizamos un software específico para calcular automáticamente las desviaciones de los implantes en cinco parámetros clave: desviación angular, desviación lateral y global de la plataforma, desviación global y en profundidad del ápice. Las mediciones fueron realizadas por un investigador cegado, siguiendo un protocolo estandarizado para garantizar la fiabilidad y reproducibilidad de los datos.

 DM.- ¿Cuáles son los principales hallazgos? ¿Cómo ha sido la mejora en precisión con X-Guide® respecto a la técnica manual?

Dres. R.F-O.C. Los resultados fueron contundentes, ya que con el uso de dCAIS X-Guide® los implantes quedaron mucho más cerca de lo planificado que con la técnica a mano alzada. En cifras:

Los cirujanos inexpertos lograron altos niveles de precisión desde las primeras intervenciones ”

la desviación angular se redujo de 8.26° a 2.75° (≈67% menos); en la plataforma, el error lateral pasó de 1.59 a 0.80 mm (≈50% menos) y el global de 1.95 a 1.06 mm (≈46% menos); y, a nivel apical, pasó de 2.59 a 1.36 mm (≈48% menos).

Pero más allá de los números, uno podría preguntarse por el impacto clínico. Y lo cierto es que éste es relevante, puesto que una menor desviación angular y lineal significa que el implante queda donde fue planificado. Esto se traduce en emergencias más previsibles, menor riesgo de proximidad indeseada a dientes o estructuras anatómicas, y menos necesidad de correcciones posteriores. Además, facilita la posibilidad de restauraciones atornilladas y favorece un mejor manejo de los tejidos blandos alrededor del implante.

 DM.- Ustedes mencionan que la precisión mejora “sin aumentar el tiempo quirúrgico”. ¿Por qué motivo les llamó la atención este resultado?

Dres. R.F-O.C. Uno de los principales inconvenientes de los sistemas dCAIS es que el tratamiento se vuelve más lento debido al tiempo necesario para el registro y la calibración del equipo, de las fresas y de los implantes. En nuestro ensayo clínico, observamos que, en media, se necesitaban 5 minutos adicionales para realizar estas tareas. Sin embargo, las intervenciones quirúrgicas del grupo X-Guide fueron significativamente más rápidas (41.59 vs. 50.77 minutos, p = 0.022), compensando con creces el tiempo dedicado a la calibración. Esto sugiere que la navegación facilita la ejecución técnica, sobre todo en Odontólogos con menos experiencia.

 DM.- En cuanto a la seguridad, ¿qué datos han podido recoger sobre proximidad a estructuras anatómicas como el nervio dentario inferior o los senos maxilares? ¿Ha disminuido el riesgo de daños en esos contextos?

Dres. R.F-O.C. En términos de seguridad, no registramos eventos adversos: todos los implantes

quedaron clínicamente estables, sin signos de infección, inflamación u otras complicaciones durante el periodo de estudio.

Respecto a la proximidad a estructuras anatómicas, aunque el ensayo no estaba diseñado para medir en cada caso la distancia mínima a estas zonas, todos los tratamientos se planificaron con CBCT y escáner intraoral bajo un enfoque bio-restaurador. La mayor fidelidad a la planificación que aporta la tecnología dCAIS se traduce en una menor probabilidad de invadir áreas de riesgo cuando el implante se sitúa cerca de estructuras críticas.

 DM.- ¿Cómo de rápido se ha observado que los cirujanos con menos experiencia han alcanzado niveles aceptables de precisión usando X-Guide®? ¿Cuáles han sido los aspectos más desafiantes para ellos?

Dres. R.F-O.C. Desde las primeras intervenciones, los cirujanos noveles lograron niveles de precisión elevados con el sistema dCAIS X-Guide. El sistema ofrece retroalimentación visual en tiempo real, lo que facilita la corrección de errores intraoperatorios y acelera la curva de aprendizaje. Sin embargo, la mayoría de los autores coincide que son necesarios 20 casos para alcanzar resultados óptimos con estos sistemas. El factor más desafiante fue confiar en la precisión del sistema ya que el alumno tenía que mirar a la pantalla mientras operaba el paciente. En este aspecto, el papel del ayudante es fundamental pues debe asegurar que la posición del cirujano y de todos los instrumentos no comprometan la seguridad del paciente. Otros retos encontrados por los Odontólogos fueron la coordinación mano-ojo y la interpretación tridimensional de la navegación, pero estos obstáculos se superaron rápidamente gracias a la interfaz intuitiva del sistema y al acompañamiento docente.

 DM.- ¿Han evaluado también cómo perciben los pacientes este tipo de cirugía en términos de confianza, dolor, recuperación...? Dres. R.F-O.C. Efectivamente. Además de la precisión, evaluamos la experiencia del paciente. El dolor posoperatorio fue leve y mostró una evolución similar en ambos grupos, con un consumo de analgésicos también comparable. En términos de calidad de vida (OHIP-14), el impacto a 7 días fue mínimo y transitorio, sin diferen-

La navegación dinámica no solo mantiene el tiempo quirúrgico, sino que incluso lo reduce en comparación con la técnica manual ”

cias entre técnicas. Asimismo, satisfacción, confort y aceptación fueron altos, ya que la mayoría recomendaría el procedimiento e incluso lo repetiría. En cualquier caso, merece la pena destacar que los pacientes intervenidos con dCAIS X-Guide® mostraron mayor disposición a pagar por esta modalidad, lo que apunta a una percepción de valor añadido.

entrevista

Los pacientes perciben mayor valor y confianza en la cirugía con X-Guide®, con alta satisfacción y mínima afectación posoperatoria ”

 DM.- ¿Qué dificultades han encontrado en el estudio? ¿Hay escenarios en los que X-Guide® no aporte ventajas claras o donde su uso sea más complicado?

Dres. R.F-O.C. Las principales dificultades que encontramos estuvieron relacionadas con la necesidad de una formación específica previa para el equipo clínico, así como con los pasos de ca-

libración y registro, que requieren precisión y familiaridad con el sistema. Además, el éxito del procedimiento depende en gran medida de una planificación digital rigurosa y bien ejecutada. En nuestra experiencia, los sistemas de navegación dinámica (dCAIS) como X-Guide® ofrecen numerosas ventajas incluso frente a la cirugía guiada convencional estática (sCAIS). Esta última requiere la confección de férulas quirúrgicas, no permite verificar la precisión intraoperatoria y puede resultar limitada en pacientes con una apertura bucal limitada. En cambio, X-Guide® permite solventar estos inconvenientes gracias a su flexibilidad, capacidad de adaptación en tiempo real y posibilidad de realizar ajustes durante la intervención. Sin embargo, existen aún pocos datos sobre la aplicación del sistema en pacientes edéntulos totales, lo que puede limitar su uso en este grupo. Además, es fundamental que el tracker del paciente permanezca completamente estable durante todo el procedimiento, ya que el sistema depende de este dispositivo para determinar con precisión la posición del paciente. Cualquier movimiento puede comprometer la exactitud de la navegación.

 DM.- Una vez finalizado el estudio, ¿cómo creen que este tipo de cirugía guiada dinámica puede integrarse de forma rutinaria en la formación universitaria y en la práctica clínica general?

Dres. R.F-O.C. La cirugía guiada dinámica debería formar parte de la formación universitaria desde etapas tempranas, no solo como una herramienta tecnológica, sino como un recurso que mejora la comprensión tridimensional de la anatomía y la planificación quirúrgica. Su integración en la práctica clínica general también es cada vez más viable, gracias a la evolución de los sistemas y a la creciente digitalización de la Odontología. Una buena analogía sería compararlo con el uso de un GPS en la conducción. Un conductor experimentado, que ya conoce bien las “calles”, puede no necesitarlo en trayectos habituales. Sin embargo, para alguien que empieza —como un estudiante o un clínico en formación— el GPS proporciona orientación precisa, reduce el margen de error y permite llegar al destino de forma más rápida y segura. Del mismo modo, los sistemas de navegación quirúrgica como X-Guide® ayudan a los profesionales menos experimentados a realizar procedimientos con mayor confianza y exactitud. 

CIRUGÍA 3Dnavegada el mismo día

nobelbiocare.com/x-guide

Realiza cirugías a mano alzada con guía 3D en tiempo real para tus fresas e implantes.

Adapta tu plan de tratamiento en cualquier momento durante la cirugía.

Habilita la cirugía guiada el mismo día.

Exporta tu plan de tratamiento de implantes de DTX Studio a X-Guide para cirugía navegada 3D.

GMT 66753 ES 1906 © Nobel Biocare Services AG, 2019. Reservados todos los derechos. Distribuido por: Nobel Biocare. X-Guide es una marca comercial o marca registrada de X-Nav Technologies, LLC en EE.UU. y/u otros países. Nobel Biocare, el logotipo de Nobel Biocare y todas las demás marcas comerciales son marcas comerciales de Nobel Biocare, a menos que se especi�ique lo contrario o que se deduzca claramente del contexto en algún caso. Para obtener más información, visita nobelbiocare.com/trademarks. Las imágenes de los productos no están necesariamente reproducidas a escala. Todas las imágenes del producto son solo para �ines ilustrativos y pueden no ser una representación exacta del producto. Exención de responsabilidad: Puede que no se permita poner a la venta algunos productos en algunos países según la normativa. Contacta con tu �ilial de Nobel Biocare para conocer la gama de productos actual y su disponibilidad. Solo para prescripción. Precaución: La ley federal de Estados Unidos limita la venta de este dispositivo a la venta por parte de o bajo petición de un odontólogo autorizado. Consulta la información completa sobre prescripción, incluidas las indicaciones, contraindicaciones, advertencias y precauciones en las Instrucciones de uso.

DE LA ALINEACIÓN A LA RESTAURACIÓN:

FLUJO ORTO-RESTAURADOR INMEDIATO

CON ITERO LUMINA

El caso que se presenta a continuación ejemplifica la sinergia entre iTero Lumina, Invisalign Go y iTero Design Suite. A través de un flujo completamente digital, se resuelve una desalineación leve y se diseñan carillas adhesivas en la misma sesión, demostrando cómo la integración tecnológica no solo mejora la eficiencia, sino también la precisión y la experiencia del paciente.

Dr. Didier Delmas Licenciado en Odontología por la Universidad UAX. Postgrado en Implantología Oral y Prótesis sobre Implantes por el FIE.

Postgrado en Ortodoncia por el Centro Europeo de Ortodoncia. Oclusión y Rehabilitación Oral con el Dr. Aníbal Alonso. Diploma Odontología Restauradora Estética por la Universidad de Valencia.

Cursos formativos:

Clínica en Maló Clinic, rehabilitación de maxilares técnica All-on 4 - Paulo Maló (Lisboa), el curso Cirugía Avanzada en implantología y regeneración ósea con el Dr. Sasha Jovanovich o el curso Advanced bone and soft tissue regeneration con el Dr. Istvan Urban en su clínica de Budapest.

Práctica privada en Alicante.

Introducción

La odontología vive una revolución digital sin precedentes. En apenas una década hemos pasado de modelos de escayola y encerados analógicos a trabajar en un entorno completamente virtual. En este nuevo contexto, iTero Lumina se posiciona como una plataforma capaz de integrar todas las fases clínicas —diagnóstico, ortodoncia, diseño restaurador y control postoperatorio— en un único flujo.

Esta capacidad de conexión representa un cambio de paradigma: el escaneo ya no es el final del registro, sino el punto de partida de un proceso diagnóstico dinámico, donde la información fluye sin interrupciones entre disciplinas. La interoperabilidad entre iTero Lumina, Invisalign Go y iTero Design Suite permite una trazabilidad completa del caso, reduciendo errores y optimizando el tiempo clínico y de laboratorio.

El caso que se presenta a continuación ejemplifica esta sinergia. A través de un flujo completamente digital, se resuelve una desalineación leve y se diseñan carillas adhesivas en la misma sesión, demostrando cómo la integración tecnológica no solo mejora la eficiencia, sino también la precisión y la experiencia del paciente.

Justificación y enfoque orto-restaurador

La planificación de un tratamiento restaurador debe comenzar siempre con una posición dental adecuada. Pequeñas desalineaciones pueden alterar proporciones, ejes y formas, comprometiendo el resultado estético y funcional. Por ello, el enfoque orto-restaurador busca alinear antes de

restaurar, preservando el máximo de estructura dental y evitando preparaciones innecesarias. El uso de Invisalign Go permite resolver discrepancias leves de manera predecible y sin invasión. Una vez alcanzada la posición óptima, la combinación de iTero Lumina e iTero Design Suite permite continuar en un entorno digital único: el mismo escáner empleado para el diagnóstico inicial se convierte en la herramienta que guía el diseño restaurador, asegurando coherencia entre datos y evitando duplicidades o pérdidas de precisión. Este flujo integral ilustra una odontología más consciente y planificada, donde cada paso está interconectado y la tecnología actúa como catalizador de un tratamiento más conservador, estético y eficiente.

Descripción del caso clínico

Paciente adulta que aparentemente quiere algo sencillo que es únicamente restaurar sus incisivos centrales superiores, acude por una mordida borde a borde debido al desgaste durante años de sus dientes, la paciente cree que es algo muy sencillo pero debemos establecer buena comunicación con ella, enseñarle el problema real y ofrecerle un tratamiento acorde a sus demandas y posibilidades. (Figuras 1 y 2)

Se planifica un tratamiento ortodóncico con Invisalign Go para optimizar la posición dental antes de la restauración estética.

Tras completar la fase ortodóncica, se diseñan dos carillas mediante iTero Design Suite. Las restauraciones se imprimen con resina compuesta permitiendo la colocación en la misma sesión clínica.

Flujo digital paso a paso

1. Primera visita: diagnóstico y registro inicial (iTero Lumina)

Durante la primera visita se llevó a cabo una evaluación clínica completa (fotografías, radiografías y IOS) en la que se constató que la paciente presentaba una relación borde a borde en los incisivos centrales superiores. Este hallazgo, que afectaba tanto la función como la estética de la sonrisa, se explicó visualmente a la paciente mediante el escaneo intraoral realizado con iTero Lumina. (Figura 3)

La proyección inmediata del modelo digital en pantalla permitió mostrarle de forma clara la posición real de sus dientes, su relación oclusal y las posibles consecuencias de mantener esa situación. Gracias a ello, la paciente comprendió la necesidad de un enfoque orto-restaurador, orientado primero a optimizar la posición dental y posteriormente a mejorar la proporción y el contorno mediante restauraciones adhesivas.

El uso del iTero Lumina en esta fase inicial no solo aportó precisión diagnóstica, sino que facilitó una comunicación más efectiva entre profesional y paciente, favoreciendo la comprensión del plan de tratamiento y su aceptación informada.

2. Planificación ortodóncica (ClinCheck – Invisalign Go) y tratamiento

Previamente a la planificación, el paciente fue digitalizado mediante la aplicación IPA de Align, integrando sus fotografías faciales y registros intraorales dentro del ecosistema Align. Esta digitalización permitió vincular todos los datos diagnósticos con el escaneo inicial realizado con iTero Lumina, garantizando una base de trabajo coherente para el análisis ortodóncico. (Figura 4)

caso clínico

Gracias a la conexión directa entre iTero Lumina e Invisalign Go, el flujo digital se desarrolló de manera ágil y fluida. Los archivos generados por el escáner se transfirieron automáticamente al software ClinCheck, lo que permitió planificar los movimientos dentales con total precisión. A partir de estos datos se diseñó un tratamiento ortodóncico, destinado a corregir la relación borde a borde de los incisivos 11 y 21 y mejorar su eje y paralelismo, preparando una base ideal para la restauración adhesiva posterior. (Figura 5)

La fase clínica de alineación se ejecutó con Invisalign Go, mediante un número reducido de alineadores (14) y un control periódico del progreso cada 4-6 semanas. En aproximadamente tres meses se consiguió la posición dental planificada, sin necesidad de procedimientos invasivos. Al finalizar, se retiraron los attachments y se confirmó que la

nueva alineación permitía abordar la fase restauradora de forma conservadora, manteniendo intacta la estructura dental. (Figura 6)

3. Escaneo restaurador y diseño CAD (iTero Lumina + iTero Design Suite)

Finalizada la fase ortodóncica, se realizó un nuevo escaneo intraoral con iTero Lumina para registrar la situación final. El hecho de utilizar el mismo escáner desde el inicio del tratamiento garantizó la continuidad del flujo digital, manteniendo la coherencia de los datos y evitando duplicidades o errores por transferencia. (Figura 7)

6 7

Los archivos obtenidos se transfirieron directamente a iTero Design Suite, un entorno que integra herramientas basadas en Exocad dentro del ecosistema iTero Lumina, permitiendo trabajar de forma chairside en la propia clínica con total control sobre el diseño. Desde esta plataforma, definimos los márgenes, ajustó forma, eje y proporciones, y verificamos los contactos y la oclusión en un modelo tridimensional dinámico. (Figura 8)

Gracias a la precisión del sistema y a la visualización inmediata del resultado, fue posible diseñar carillas ultraconservadoras con espesores mínimos de entre 0,3 y 0,5 mm, perfectamente adaptadas a la nueva posición dental. En apenas unos minutos, el flujo digital avanzó del escaneo al diseño final, listo para su fabricación inmediata.

4. Fabricación 3D

Una vez completado el diseño digital, los archivos STL se enviaron directamente al software de impresión para su fabricación mediante impresión 3D prensada (lo que nos permite utilizar materiales de mayor viscosidad y componente cerámico). Este

sistema permitió materializar las carillas diseñadas en apenas unos minutos, utilizando una resina compuesta (50% de carga cerámica) de alta precisión que combina resistencia mecánica y excelente comportamiento óptico. El proceso es tan sencillo como arrastrar y soltar el archivo STLen el software de impresión. (Figuras 9 y 10)

El proceso de impresión se desarrolló en unos diez minutos. Posteriormente, las restauraciones fueron sometidas a un protocolo de postprocesado que incluye lavado en alcohol isopropílico, secado, poscurado controlado y un pulido progresivo que proporcionó un acabado homogéneo y brillante. (Figura 11)

El resultado fueron dos carillas ultraconservadoras, de ajuste exacto y márgenes definidos, listas para la prueba clínica inmediata. Este flujo completamente digital y chairside optimiza el tiempo operatorio y ofrece al paciente una solución estética en una única sesión.

caso clínico

5. Prueba clínica y ajustes

Con las carillas impresas y finalizadas, se procedió a su prueba clínica inmediata. La adaptación marginal fue evaluada cuidadosamente, comprobando el asentamiento completo sobre los dientes preparados y la correcta continuidad de los márgenes. Los contactos proximales se verificaron asegurando la resistencia ideal sin generar presión excesiva ni trauma gingival. También se revisaron los contactos oclusales. (Figura 12)

Los mínimos ajustes requeridos se realizaron de manera extraoral, empleando maquillajes, fresas de acabado y discos de pulido de grano fino, con el objetivo de preservar la integridad superficial y mantener la estética del material impreso. Esta fase permite confirmar que el diseño digital se corresponde fielmente con la realidad clínica, sin necesidad de modificaciones sustanciales. La precisión obtenida desde el escaneo inicial hasta la impresión

3D evidencia la fiabilidad del flujo digital completo, reduciendo significativamente el tiempo clínico y aumentando la predictibilidad del resultado final.

6. Cementado y acabado

Tras confirmar la adaptación y la estética final, se procedió al cementado adhesivo definitivo. Insertamos las carillas, eliminamos los excesos de cemento y se fotopolimeriza cuidadosamente. Finalmente, se realizaron los ajustes oclusales y un pulido de alto brillo, obteniendo una integración perfecta y una transición imperceptible entre restauración y estructura dental. (Figura 13)

Conclusión

La combinación de iTero Lumina, Invisalign Go e iTero Design Suite demuestra que la odontología digital actual no se limita a sustituir herramientas analógicas, sino que redefine la manera en que concebimos el tratamiento integral. Este flujo orto-restaurador continuo ofrece precisión, trazabilidad y eficiencia, reduciendo tiempos clínicos y preservando estructura dental. Desde un punto de vista científico, la predictibilidad obtenida mediante un flujo de datos coherente —sin transferencias entre softwares ni escaneos adicionales— minimiza errores acumulativos y permite tratamientos mínimamente invasivos con resultados altamente estéticos.

En el plano humano y profesional, esta integración representa una nueva filosofía de trabajo: la odontología sin fricciones, donde la tecnología amplifica la sensibilidad clínica y la experiencia del paciente. Cada paso, desde el diagnóstico hasta la restauración final, se desarrolla con una continuidad que transmite confianza, control y excelencia.

iTero Lumina no es solo un escáner; es una plataforma que unifica diagnóstico, planificación y ejecución. Su papel dentro del ecosistema Align muestra cómo la colaboración entre ortodoncia y restauración puede materializarse en un único flujo digital, tangible y clínicamente reproducible.

En definitiva, este caso clínico refleja el presente y el futuro de la odontología restauradora: una disciplina digital, interdisciplinar y centrada en el paciente, donde la tecnología deja de ser una herramienta auxiliar para convertirse en el lenguaje común que conecta ciencia, estética y emoción. 

¿A qué esperas para ponerlo a prueba?

No te quedes atrás. Impulsa la transformación digital en tu clínica con el Invisalign Digital Mentoring.

Gracias al escáner intraoral iTero y al sistema Invisalign Go podrás ofrecer tratamientos mínimamente invasivos a tus pacientes en un flujo digital integrado.

¿Y si la odontología del futuro ya estuviera aquí… y solo tuvieras que activarla?

CONNECTED DENTISTRY: EL ECOSISTEMA DIGITAL QUE UNE CLÍNICA Y LABORATORIO

La odontología entra en una nueva era con Connected Dentistry de Dentsply Sirona, que integra tecnología y flujos digitales para ofrecer atención personalizada y eficiente. Su plataforma en la nube DS Core conecta equipos, software y servicios, optimizando la colaboración entre clínica y laboratorio.

En este ecosistema destaca Primescan 2, el escáner intraoral que combina velocidad, precisión y conectividad total, permitiendo consultas integrales y comunicación fluida. Con Connected Dentistry, los profesionales logran mayor eficiencia, crecimiento y mejores resultados clínicos.

DS Core: el corazón de la odontología conectada DS Core actúa como el centro digital que unifica los flujos de trabajo clínicos y de laboratorio. Su infraestructura cloud permite almacenar, compar-

tir y gestionar datos de manera segura, facilitando la comunicación entre odontólogos, técnicos y pacientes.

Esta conectividad elimina las barreras tradicionales entre especialidades —desde la preventiva hasta la restauradora, pasando por ortodoncia, endodoncia o implantología—, permitiendo que todos los actores del proceso trabajen sobre una misma base de información. Así, el profesional gana en flexibilidad, los pacientes disfrutan de una experiencia más ágil, y los laboratorios optimizan su capacidad de respuesta.

Connected Dentistry no es solo una tendencia tecnológica, sino un nuevo estándar de práctica odontológica. Al integrar la digitalización,

la colaboración y el acceso remoto a la información, Dentsply Sirona empodera a los profesionales para alcanzar su máximo potencial. Con DS Core como base y Primescan 2 como herramienta clave, la odontología da un paso firme hacia el futuro: un futuro más conectado, eficiente y centrado en el paciente. 

Más información

www.dentsplysirona.com/es-es/descubrir/descubrir-por-temas/categorias/digital-dentistry.html

Contacta

www.dentsplysirona.com/es-es/atencion-al-cliente/ contacta-con-dentsply-sirona.html

ODONTOLOGÍA MÍNIMAMENTE INVASIVA:

¿POR QUÉ ES NECESARIA Y CUÁLES SON LOS ÚLTIMOS AVANCES?

Dr.

Marinello , Profesor Emérito desde 2015 en la Facultad de Odontología de la Universidad de Basilea

La odontología mínimamente invasiva representa un enfoque que respeta en general los componentes naturales sanos (sustancia dental y tejidos blandos). Estos procedimientos se han convertido hoy en una alternativa real gracias a varios factores: la producción de restauraciones extremadamente finas y precisas, protocolos modernos de cementado, biomateriales innovadores y tecnologías avanzadas. En esta entrevista, el Dr. Carlo P. Marinello aclara la importancia de los procedimientos protésicos mínimamente invasivos, enfocándose en las últimas innovaciones en este campo. A continuación, se presenta el caso clínico de un paciente tratado con la nueva técnica Prettau® Skin®.

 ¿Por qué necesitamos prótesis mínimamente invasivas?

Una dentición sana, sin caries ni restauraciones, representa la mejor situación de partida para garantizar una funcionalidad permanente en todos los aspectos (estructurales y estéticos), siempre que la sustancia dental natural no se pierda por procesos fisiológicos o patológicos. Nuestro objetivo principal es, por tanto, prevenir o frenar estos procesos de manera profiláctica o, en una fase avanzada, devolver el diente, en la medida de lo posible, a su estado original mediante un procedimiento aditivo. Es importante tener en cuenta que la cavidad oral es un “entorno hostil”: la humedad, el estrés, las variaciones de temperatura y de pH pueden comprometer la calidad de la restauración. Al utilizar técnicas mínimamente invasivas mediante una terapia diagnóstica guiada y reduciendo al mínimo el número de dientes implicados, podemos garantizar de forma significativa la conservación del diente natural.

 ¿Qué ejemplos de restauraciones mínimamente invasivas conocemos?

La odontología mínimamente invasiva incluye diversos tipos de restauraciones. Veneers como solución a fracturas, veneers incisales, veneers parciales y veneers completas se utilizan, por

ejemplo, en la región anterior antes de recurrir a coronas convencionales. Mientras que en la región posterior se emplean los llamados table tops, veneers parciales y onlays. También la sustitución de dientes individuales está sujeta a requisitos similares. Por esta razón, los puentes adhesivos, por ejemplo, se consideran restauraciones simples, eficaces y mínimamente invasivas en pacientes adolescentes, jóvenes, pero también mayores. Incluso las prótesis parciales removibles simples representan una solución mínimamente invasiva, ya que sustituyen eficazmente varios dientes ausentes sin una preparación extensa del muñón.

 ¿Cuáles son las últimas innovaciones en cuanto a odontología mínimamente invasiva?

Entre las prótesis mínimamente invasivas, las veneers tienen un gran potencial tanto en su uso convencional como en la aplicación ilimitada de ideas innovadoras. Un ejemplo perfecto es el nuevo concepto Prettau® Skin®, una solución mínimamente invasiva reciente compuesta por veneers particularmente delgadas, que alcanzan un grosor de 0,2 mm. Estas veneers representan una restauración extremadamente fina, sofisticada y, al mismo tiempo estable, con una elevada precisión de ajuste.

La recopilación digital de datos y el consiguiente flujo de trabajo que prevé la realización y prueba intraoral de un mock-up, facilitan la participación del paciente en el proceso de toma de decisiones, convirtiendo estos veneers en un tratamiento fiable para el equipo protésico. Cuando se tratan pacientes con soluciones mínimamente invasivas, es importante considerar que el grosor del esmalte facial disminuye con la edad debido a la erosión y al desgaste, y que los estudios indican un espesor medio de solo 0,3-0,7 mm. Las “reglas antiguas” afirmaban que reducir el esmalte a 0,5 mm para una restauración con veneers conlleva el riesgo de exponer la dentina en la zona cervical.

En este contexto, Prettau® Skin®, con su grosor mínimo de 0,2 mm, representa una excelente solución protésica que puede aplicarse con o sin una preparación mínima del diente. De este modo, la veneer de zirconia ultradelgada cumple tres funciones: sustituir los tejidos perdidos, especialmente el esmalte; proteger contra futuras pérdidas de tejido; y crear una especie de

“esmalte de por vida”. Este último aspecto aún requiere estudios a largo plazo que lo respalden.

 ¿Cuáles son los requisitos previos para la adhesión de la zirconia?

Para crear una unión química con la zirconia se utiliza un metacrilato fosfórico, el monómero 10MDP. El requisito previo es generar una superficie limpia y micromecánica tanto en el diente como en la parte interna de la restauración. Además, se recomienda el uso de un Zirconia Cleaner específico para la descontaminación de las superficies contaminadas con saliva y sangre. Hoy en día, con los modernos materiales y métodos disponibles, es posible garantizar una adhesión duradera y estable. Sin embargo, el cementado de veneers de zirconia sigue siendo un procedimiento clínico exigente, que requiere conocimientos básicos de adhesión y una formación práctica específica y especializada.

 ¿De qué manera influyen los avances en materiales y procesos digitales en la odontología mínimamente invasiva?

Las últimas innovaciones en el ámbito de la zirconia incluyen materiales con valores de translucidez muy elevados. En combinación con una gradación integrada de color, estos materiales pueden utilizarse para producir restauraciones con un aspecto especialmente natural, manteniendo un diseño monolítico.

En cuanto a los procesos de digitalización, estos permiten guardar archivos digitales de forma permanente para la realización de la restauración final, así como para la eventual producción de prototipos, mock-ups de prueba o restauraciones provisionales. Esta fase del tratamiento es importante para crear restauraciones que satisfagan tanto al paciente como al dentista. En el caso específico de las veneers, el flujo de trabajo digital permite una evaluación diagnóstica dirigida a determinar la dirección de inserción adecuada, una preparación óptima del muñón y una guía de preparación específica para todo el curso del tratamiento.

En general, gracias a las tecnologías CAD/CAM actuales, es posible producir restauraciones de zirconia con un altísimo nivel de precisión. 

la Universidad de Zúrich, donde fue profesor asociado en el Departamento de Prótesis Fijas y Removibles y en el de Ciencias de Materiales Dentales, y posteriormente, también responsable del Departamento de Periodoncia. Ocupó el cargo de responsable del Departamento de Odontología Reconstructiva y Trastornos Temporomandibulares en la Facultad de Odontología de la Universidad de Basilea, donde se le concedió el título de profesor emérito en 2015. Con casi 50 años de experiencia en el sector, ha sido miembro de muchas de las instituciones protésicas más prestigiosas.

Contenido patrocinado
Dr. Carlo P. Marinello
El Dr. Carlo P. Marinello se licenció en
Publicado por primera vez en Labline (Hungría): “The latest advancements in minimally invasive prosthodontics”, primavera de 2024, pp. 80–89.

VENEERS NO PREP PRETTAU®

SKIN® EN PRETTAU®

4 ANTERIOR® DISPERSIVE®

A continuación se presenta un caso clínico de un paciente que solicitaba una rehabilitación estética y funcional de sus dientes anteriores mediante un enfoque terapéutico mínimamente invasivo, para el que el equipo protésico optó por la realización de veneers ultradelgadas de zirconia sin preparación (Prettau® Skin® de Zirkonzahn), una solución ideal para preservar la estructura dental natural, mejorando al mismo tiempo la estética de la sonrisa.

Un paciente joven acudió al equipo protésico manifestando insatisfacción con el aspecto estético de sus dientes anteriores, solicitando una rehabilitación estética y funcional del área comprendida entre los elementos 13 y 23 mediante un enfoque terapéutico mínimamente invasivo.

El equipo protésico optó entonces por la realización de veneers ultradelgadas de zirconia sin preparación (Prettau® Skin®): una solución ideal para preservar la estructura dental natural, mejorando al mismo tiempo la estética de la sonrisa.

La situación oral inicial se registró digitalmente mediante escaneos intraorales, mientras que la fisionomía facial se capturó con el escáner facial 3D Face Hunter, lo que permitió la creación de un modelo virtual tridimensional y la articulación de las estructuras dentales y faciales del paciente.

Para una selección óptima del color, se utilizó la guía de color Zirkonzahn Shade Guide Prettau® Line de Zirkonzahn, compuesta por dientes de muestras monolíticas de zirconia Prettau® Dispersive®, que facilitaron una vista previa del resultado estético final.

Para la elaboración de la restauración, se eligió la Prettau® 4 Anterior® Dispersive®, una zirconia de alta translucidez desarrollada específicamente para la zona anterior.

El set-up dental se realizó con el software Zirkonzahn.Modifier, seleccionando y personalizando la morfología más adecuada a partir de la biblioteca virtual Heroes Collection.

A continuación, se determinó la dirección de inserción óptima para el modelo block-out, con el fin de garantizar un posicionamiento preciso de la restauración.

Posteriormente, se diseñó y fresó un mockup en resina Temp Premium Flexible, útil para evaluar las características funcionales, fonéticas y estéticas, ofreciendo al paciente una vista previa y real del posible resultado final. Después la evaluación positiva de la prueba en boca tanto por parte del clínico como del paciente, se diseñaron y fresaron seis veneers Prettau® Skin® a partir de un bloque de zirconia

Prettau® 4 Anterior® Dispersive®. Las veneers fueron luego sinterizadas en el horno Zirkonofen Turbo, caracterizadas con ICE Stains 3D by Enrico Steger, y estratificadas ligeramente con Fresco Ceramics para obtener una mayor estética. Finalmente, las restauraciones fueron cementadas en la boca del paciente. Para proteger las veneers y garantizar su durabilidad, se elaboró una férula (bite) en resina Therapon Transpa. Al finalizar el tratamiento, el paciente expresó plena satisfacción con la funcionalidad y estética del resultado obtenido. 

Alexander Lichtmannegger, TPDM
Zirkonzahn Education Center Brunico
Via An der Ahr 7 39030 Gais, Sudtirol (Italia)
Caso realizado por el Dr. Med. Dent. José Carlos Alva Manríquez - León, México y el TPD Alexander Lichtmannegger – Zirkonzahn Education Center Brunico, Sudtirol, Italia.
1. Situación inicial.
2. Set-up virtual en el software Zirkonzahn.Modifier.
3. Determinación de la dirección de inserción óptima para la realización de un modelo block-out.
4. Las 6 veneers Prettau® Skin® realizadas en Prettau® 4 Anterior® Dispersive®
5, 6 y 7. El caso clínico con las veneers Prettau® Skin® de un grosor mínimo de 0,2 mm, antes y después del tratamiento.modelo block-out.

Prettau® Skin® – Las veneers ultradelgadas que revolucionan la odontología mínimamente invasiva. Una sonrisa sana con una preparación mínima o sin preparación

Prettau® Skin® es la técnica innovadora desarrollada por la empresa sudtirolesa Zirkonzahn, que permite la realización de veneers ultradelgadas con toda la tipología de zirconia Prettau®, con un grosor de tan solo 0,2 mm. De este modo, los pacientes pueden obtener una sonrisa sana con una preparación mínima de la sustancia dental o incluso, exenta de preparación.

Las veneers Prettau® Skin® corrigen discromías, espacios interdentales irregulares, dientes torcidos, malformados o desgastados.

Para su elaboración, Zirkonzahn ha desarrollado un protocolo clínico y técnico que incluye la creación de un mockup en resina para verificar, mediante una prueba intraoral, los aspectos funcionales, fonéticos y estéticos. A partir del mock-up, el técnico dental produce una guía de preparación que indica al dentista las zonas que deberá desgastar de manera mínimamente invasiva para la aplicación de las veneers: una herramienta útil para optimizar la planificación y la comunicación entre el técnico y el dentista, en beneficio del paciente.

La preparación y cementado de las veneers se realiza siguiendo un protocolo consolidado que incluye tanto pasos técnicos como clínicos:

 Limpieza y aislamiento del área de trabajo.

 Preparación del diente.

 Preparación de las veneers.

 Preparación para el cementado y aplicación, fotopolimerización.

Veneers de zirconia Prettau® Skin®
8b
8a y 8b. Restauración final in situ.

ZIRCONIA PRETTAU® HECHA

CON ORGULLO

Sin la zirconia no habría Zirkonzahn. Profundamente convencido de las propiedades de este material, decidí sacar lo mejor de él para nosotros los protésicos dentales.

Tomó mucho más tiempo de lo que yo pensaba inicialmente: desde seleccionar materias primas de alta calidad hasta desarrollar costosos procesos de producción y depuración, conceptos de coloración, instrumentos de elaboración, hornos de sinterización, estrategias de fresado manuales y posteriormente digitales así como técnicas de trabajo ... siempre buscando nuevas y mejores soluciones.

¡Nunca nos dimos por vencidos! Todo fue estudiado hasta el último detalle y luego ensamblado para crear nuestra zirconia Prettau ®, como si se tratara de un gran rompecabezas.

Prettau ®, un nombre profundamente ligado al Sudtirol, mi tierra natal. Un compromiso y una promesa: el camino de Prettau ® los lleva a la dirección del diseño monolítico. La zirconia es y seguirá siendo, nuestra pasión y nuestro orgullo.

¡Pueden contar con ellos!

PRETTAU® Translucidez

Resistencia a la flexión

Sin dispersión del color

PRETTAU® 2 DISPERSIVE® Translucidez

Resistencia a la flexión

Con dispersión del color

PRETTAU® 3 DISPERSIVE® Translucidez

Resistencia a la flexión

Con Gradual-Triplex-Technology*

PRETTAU® 4 ANTERIOR® Translucidez

Resistencia a la flexión

Sin dispersión del color

PRETTAU® 4 ANTERIOR® DISPERSIVE® Translucidez

Resistencia a la flexión

Con dispersión del color

*Gradual-Triplex-Technology: La zirconia ya está provista de gradientes de color, translucidez y resistencia a la flexión durante el proceso de producción. Esto asegura una coloración natural, un borde incisal muy translúcido y una resistencia a la flexión extremadamente alta en la región cervical del diente.

Enrico y Julian Steger

“LA CIRUGÍA BUCAL TIENE UN GRAN FUTURO

POR DELANTE

Y

DEPENDE

DE CADA UNO DE NOSOTROS QUE ESE FUTURO SEA SÓLIDO, COHERENTE Y CENTRADO EN EL PACIENTE”

Dra. Agurne Uribarri, presidenta de la Sociedad Española de Cirugía Bucal (SECIB)

A lo largo de esta entrevista, la Dra. Agurne Uribarri, presidenta de la Sociedad Española de Cirugía Bucal (SECIB), hace balance de su primer año al frente de la Sociedad, detallando el desarrollo de sus principales líneas estratégicas, entre las que destaca la formación continuada como “eje vertebral” de la actividad de SECIB, además de hablarnos sobre su XXII Congreso Nacional, que se celebrará los días 7 y 8 de noviembre en la UCM (Madrid) bajo el lema “Cada decisión importa, elige el camino correcto” y en el que se enfatizará la importancia de la reflexión y la evidencia científica como pilares de la práctica quirúrgica.

Hemos avanzado de manera sólida en las tres líneas estratégicas marcadas: fortalecer la formación continuada, reactivar la relación entre los másteres universitarios de cirugía bucal e impulsar la presencia de nuestra disciplina en la Atención Primaria

 DM.- ¿Qué balance hace de su primer año como presidenta de la Sociedad Española de Cirugía Bucal (SECIB)?

Dra. Agurne Uribarri (Dra. A.U.).- El balance es muy positivo. Este primer año al frente de SECIB ha sido intenso, pero enormemente enriquecedor. Desde el inicio, asumí la presidencia con el compromiso de mantener la calidad científica y la seriedad que siempre han caracterizado a nuestra Sociedad, al tiempo que impulsábamos una evolución acorde con las nuevas demandas formativas y asistenciales. Durante estos meses, hemos avanzado de manera sólida en las tres líneas estratégicas marcadas: fortalecer la formación continuada, reactivar la relación entre los másteres universitarios de cirugía bucal e impulsar la presencia de nuestra disciplina en la Atención Primaria. La formación continuada ha seguido siendo el eje vertebral de nuestra actividad, con una oferta cada vez más dinámica, adaptada a las necesidades reales de nuestros socios y estrechamente vinculada con la práctica clínica. En el ámbito universitario, hemos impulsado programas de intercambio y colaboración entre los distintos másteres, fomentando el diálogo entre sus responsables. Fruto de este esfuerzo, se celebrarán jornadas interuniversitarias en abril de 2026 en Sevilla, además de reuniones periódicas entre directores de másteres que permitirán compartir experiencias, contenidos y enfoques docentes. Paralelamente, hemos reforzado la colaboración con los servicios de Atención Primaria, explorando nuevas fórmulas de integración que permitan poner en valor el papel del cirujano bucal dentro del sistema público de salud.

 DM.- ¿Cuáles son sus principales objetivos al frente de la Junta Directiva de SECIB?

Dra. A.U.- Nuestro objetivo es consolidar una SECIB moderna, activa y útil para todos los cirujanos bucales. Queremos que sea un espacio de referencia para el desarrollo profesional, la investigación y la cooperación entre ámbitos clínicos y universitarios. En el ámbito formativo, trabajamos para adaptar nuestros programas a las necesidades reales del socio, con un enfoque flexible y una oferta diversa que combine la presencialidad y la formación online. A nivel institucional, estamos promoviendo una estrategia de acercamiento entre la cirugía bucal y el sistema público de salud, explorando vías para su integración en la cartera de servicios odontológicos. Y, de manera transversal, seguimos insis-

La formación continuada ha seguido siendo el eje vertebral de nuestra actividad, con una oferta cada vez más dinámica, adaptada a las necesidades reales de nuestros socios y estrechamente vinculada con la práctica clínica ”

tiendo en la necesidad de que España reconozca oficialmente la especialidad de cirugía bucal, un paso fundamental para equipararnos con el resto de países europeos y garantizar un marco formativo y asistencial más coherente.

 DM.- ¿Cuáles están siendo las líneas estratégicas de la actividad de SECIB y qué iniciativas ha materializado hasta el momento?

Dra. A.U.- Actualmente, como hemos mencionado, desarrollamos tres grandes líneas estratégicas: formación continuada, compromiso universitario y avance en la integración de la cirugía bucal en Atención Primaria. En formación, SECIB ha diseñado un calendario amplio de actividades que combina webinars, cursos monográficos, talleres y la actualización de la Academia SECIB, de cara al próximo año 2026. Durante este año, también hemos activado dos nuevas áreas formativas: el programa de Cursos SECIB - Industria, que en 2026 se desarrollará en colaboración con al menos cinco de los patrocinadores oficiales de la Sociedad, con contenidos prácticos orientados a la innovación clínica y tecnológica; y el espacio de Cursos SECIB - Universidad, un proyecto que busca acercar la formación continua al ámbito académico, mediante cursos locales organizados en las distintas facultades de Odontología del país, de los cuales también tenemos ya varias fechas agendadas para el próximo año. En el ámbito universitario, trabajamos para fortalecer la cooperación entre másteres y fomentar la excelencia académica a través de foros de intercambio y proyectos conjuntos. Por último, en el plano asistencial, hemos iniciado un proyecto de análisis sobre la situación de la cirugía bucal en Atención Primaria, con el fin de elaborar propuestas concretas para su integración progresiva en el sistema público de salud.

Nuestro objetivo es consolidar una SECIB moderna, activa y útil para todos los cirujanos bucales. Queremos que sea un espacio de referencia para el desarrollo profesional, la investigación y la cooperación entre ámbitos clínicos y universitarios ”

 DM.- Acerca de la formación continuada, ¿qué actividades formativas están llevando a cabo desde SECIB para mejorar el aprendizaje de sus profesionales?

Dra. A.U.- La formación continuada es la base sobre la que se sustenta el desarrollo de nuestra profesión. En SECIB la entendemos no solo como una obligación científica, sino también como una herramienta de cohesión entre los socios. Durante este año hemos impulsado una amplia oferta de actividades online y presenciales. Los webinars han abordado temas tan relevantes como la cirugía guiada, la periimplantitis, la digitalización, la regeneración ósea y de tejidos blandos, o la fotobiomodulación, mientras que los cursos monográficos y talleres presenciales han permitido un enfoque práctico y participativo. Además, hemos reestructurado la página web de SECIB para hacerla más intuitiva, dinámica y accesible. Esta renovación no solo facilita el acceso a los contenidos formativos y a la información científica, sino que también refuerza la comunicación con los socios, permitiendo un acceso más ágil y cercano. En este sentido, hemos creado un nuevo espacio de podcasts SECIB, concebido como un canal complementario de divulgación científica y formativa. A través de él, queremos

acercar a nuestros socios contenidos breves, accesibles y actualizados sobre temas de cirugía bucal, investigación e innovación tecnológica.

 DM.- ¿Qué proyectos o acciones planifica SECIB para los próximos meses en cuanto a formación, revisiones clínicas e investigaciones?

Dra. A.U.- Los próximos meses estarán centrados en reforzar la relación entre formación e investigación, que consideramos inseparables. Continuaremos promoviendo los Premios SECIB a las mejores publicaciones científicas y al mejor trabajo de fin de grado, además de favorecer la participación de jóvenes investigadores en el Simposio Universidades durante nuestro Congreso Nacional. También estamos elaborando revisiones clínicas y documentos de consenso sobre temas de actualidad, con el fin de proporcionar guías clínicas que sirvan como referencia en la actividad diaria. El gran evento de este año será el XXII Congreso Nacional SECIB, que celebraremos los días 7 y 8 de noviembre en la Universidad Complutense de Madrid, bajo el lema “Cada decisión importa, elige el camino correcto”. Este lema resume la esencia de la cirugía bucal moderna: una disciplina donde cada decisión diagnóstica y terapéutica influye directamente en la calidad asistencial y en la seguridad del paciente.

 DM.- ¿Qué objetivos se han marcado para el XXII Congreso Nacional de SECIB?

Dra. A.U.- El Congreso Nacional es el encuentro más relevante del año para nuestra Sociedad. Esta edición, en Madrid, girará en torno a la toma de decisiones clínicas y a la responsabilidad del profesional en un entorno en constante cambio. Con el lema “Cada decisión importa”, queremos enfatizar la importancia de la reflexión y la evidencia científica como pilares de la práctica quirúrgica. El programa incluirá sesiones sobre cirugía guiada, regeneración tisular, diagnóstico de lesiones orales, inteligencia artificial y digitalización. El Congreso pretende ser también un espacio de encuentro entre generaciones, donde los clínicos con experiencia y los jóvenes profesionales puedan compartir conocimiento, inquietudes y visión de futuro.

 DM.- En el programa del Congreso se incluye una mesa redonda sobre cirugía bucal en Atención Primaria. ¿Cuál es el objetivo de esta iniciativa y qué se espera lograr con ella? Y, por otro lado, ¿cómo está avanzando SECIB en su objetivo de lograr el reconocimiento de la especialidad de Cirugía Bucal como tal dentro del sistema sanitario público y formativo?

Dra. A.U.- La mesa sobre cirugía bucal en Atención Primaria busca analizar la realidad asistencial en España y plantear estrategias para incorporar la cirugía bucal dentro de la red pública, en coherencia con lo establecido en el Real Decreto 1030/2006. Creemos que un odontólogo formado en cirugía bucal puede asumir gran parte de los procedimientos quirúrgicos básicos en el ámbito público, mejorando la accesibilidad del paciente y optimizando los recursos públicos sanitarios. En esta línea, hemos impulsado actividades conjuntas con los servicios de salud autonómicos, como las jornadas SECIB–SESCAM celebradas en Toledo en septiembre de 2025, que incluyeron dos cursos específicos: uno dirigido a odontólogos y otro a higienistas dentales. Estas acciones, eminentemente prácticas, son un ejemplo de cómo la colaboración institucional puede traducirse en formación útil, actualización profesional y mejora directa de la capacidad asistencial del sistema público.

Respecto al reconocimiento de la especialidad, seguimos trabajando activamente junto al Consejo General de Dentistas para presentar ante el Ministerio de Sanidad una propuesta sólida que cumpla con los requisitos del Real Decreto 589/2022. Se trata de una reivindicación histórica que permitiría homologar nuestra formación con los estándares europeos y garantizar una atención sanitaria más eficiente y equitativa.

 DM.- En materia de innovación digital y tecnología, ¿qué acciones han promovido para favorecer el uso de IA, cirugía robótica o planificación digital en formación y práctica clínica?

Dra. A.U.- La cirugía bucal vive un momento de transformación tecnológica sin precedentes. La inteligencia artificial, la planificación digital o la impresión 3D están redefiniendo nuestra forma de diagnosticar y tratar. Desde SECIB hemos incorporado estos contenidos a nuestro programa formativo, con el objetivo de que los profesionales no solo conozcan las herramientas, sino que aprendan a utilizarlas de manera responsable y crítica. Creemos que la tecnología no sustituye al criterio clínico, sino que lo potencia. La inteligencia artificial puede ayudarnos a generar modelos predictivos, mejorar la precisión quirúrgica y personalizar los tratamientos, pero siempre bajo la supervisión y la decisión del profesional. Nuestro papel como sociedad científica es acompañar a los clínicos en esta transición tecnológica, garantizando que la innovación se traduzca en una mejora real para el paciente.

 DM.- ¿Qué mensaje le gustaría trasladar a los jóvenes odontólogos que se plantean orientar su carrera hacia la cirugía bucal?

Dra. A.U.- Les animaría a hacerlo con entusiasmo, con rigor y con un profundo compromiso con la formación continua. La cirugía bucal es una disciplina apasionante que combina ciencia, técnica y humanidad. Vivimos una etapa en la que los avances tecnológicos ofrecen oportunidades inmensas, pero el elemento diferencial sigue siendo el conocimiento, la ética y la sensibilidad clínica. SECIB está abierta a los jóvenes, a sus ideas y a su energía. Queremos que encuentren en nuestra Sociedad un espacio para crecer, formarse y participar. La cirugía bucal tiene un gran futuro por delante y depende de cada uno de nosotros —de nuestras decisiones, de nuestro esfuerzo y de nuestra vocación— que ese futuro sea sólido, coherente y centrado en el paciente. 

“ Nuestro papel como sociedad científica es acompañar a los clínicos en esta transición tecnológica, garantizando que la innovación se traduzca en una mejora real para el paciente ”

artículo clínico

Del arco completo digital a la rehabilitación total automatizada en 2 h 45 min

DE MEDICALFIT A MEDICALFIT

3 HIGH SPEED

Este artículo presenta la evolución de Medicalfit 1 a Medicalfit 3 High Speed (MF3HS), un protocolo escalable que acelera la carga inmediata mediante la automatización CAD (con los softwares Pdental e iFinder) y la impresión 3D ultrarrápida en la fase CAM. Explicamos por qué la tecnología digital, por sí sola, no basta para rehabilitar un arco completo con la precisión clínica exigida, y cómo la combinación de CBCT + escaneado intraoral + algoritmos de pasivizado permite atornillar un full-arch sin FRI ni pruebas adicionales, manteniendo pasividad y predictibilidad. Cerramos con un caso FP1 paso a paso y un plan de materiales, control de calidad y tiempos reales.

El reto: digital sí, pero con límites clínicos

El escáner intraoral es hoy la base de cualquier flujo digital, pero acumula distorsiones que impiden, por sí solo, un full arch clínicamente tolerable. La solución de Medicalfit ha sido integrar registros complementarios y un proceso de corrección geométrica para asegurar la pasividad:

 CBCT con scanbodies MFTS7-IFpara corregir el escaneado intraoral.

 Algoritmos de detección/alineación de implantes y scanbodies sobre el CBCT.

 Pasivizado del IO scan con el CBCT para obtener un modelo corregido y fiable. (Figura 1) Idea clave: la combinación de herramientas hace posible rehabilitar mejor (más preciso) y más rápido (menos citas e incidencias).

Flujo digital Medicalfit (Medicalfit 1)

Digitalización inicial del paciente mediante:

 Escaneado intraoral (IO).

 CBCT prequirúrgico.

 Protocolo fotográfico.

Con estos registros, alineamos y creamos un gemelo virtual del paciente. Sobre él:

 Planificación protésica inicial (referencia estética/funcional).

 Planificación de implantes guiada o libre (guía quirúrgica, navegación o mano alzada según criterio del cirujano).

Tras la cirugía:

 IO con scanbodies y CBCT de control con esos mismos scanbodies.

 Pasivizado: corregimos el IO con el CBCT y alineamos con la planificación para diseñar el provisional atornillado.

 Instalación: el provisional mecanizado suele colocarse a la mañana siguiente.

Definitivo: tras meses de provisionalización, trasladamos ajustes del provisional y cambios tisulares al SLT para fabricar la prótesis en el material indicado (elección habitual: circonio monolítico ultrapulido). Análisis de elementos finitos para asegurar la resistencia mecánica de la prótesis. (Figura 2)

Fig. 1.Variación entre el escaneado original y el escaneado corregido resultante de Pdental.

Resultados: 10 años aplicándolo en cientos de clínicas, con tratamientos más rápidos, predecibles y económicos. El hándicap era la escalabilidad internacional (perfil técnico elevado y ventana temporal crítica en cargas inmediatas).

La palanca de cambio: automatización con Pdental e iFinder

Para superar el cuello de botella, Medicalfit, junto a la Universidad de Jaén, ha desarrollado Pdental, un software automático que replica los procesos del

equipo de ingeniería, reduciendo más de 2 horas el ciclo de diseño/fabricación del provisional. (Figura 3)

 Detección automática de implantes/scanbodies en CBCT.

 Corrección geométrica del IO a partir del CBCT (pasivizado).

 Ejecución en lotes y computación en paralelo para escalar. Medicalfit dispone además de iFinder, un software de filosofía similar. Ambos están accesibles en dentalreply.com.

Dr. Justo Martínez Balaguer

Lic. Odontología. Universidad de Murcia.

Lic. Medicina. Universidad de Zaragoza.

Médico especialista en medicina de familia y comunitaria.

Experto en cirugía guiada, planificación digital e impresión 3D.

Experto en endodoncia. ZBLC Ambassador.

Dr. Tal Grauer. Pablo Rodríguez. Pedro Perales.

Fig. 2. Análisis de elementos finitos de la prótesis definitiva (AEF).
Fig. 3. Software automático de pasivizado del escaneado

artículo clínico

Nace Medicalfit 3 High Speed (MF3HS)

El protocolo MF3HS prioriza velocidad y escalabilidad en carga inmediata manteniendo pasividad:

 V1 (provisional transicional impreso) en ≈ 2–3 horas desde el inicio de la cirugía.

 V2 (provisional mecanizado) a las 48 horas. Es opcional y permite modificar aspectos como oclusión, estética, presión, sellado de alveolos y contornos, así como aumentar la resistencia mecánica.

 Material definitivo: circonio monolítico ultrapulido tras la osteointegración.

 Compatibilidad: uso de scanbodies Medicalfit

Tissue Shaper (MFTS7-IF) y librerías Medicalfit sobre transepitelial (sin interfases). (Figura 5)

Nota sobre materiales: hoy no existe evidencia de que un provisional impreso iguale en resistencia al PMMA mecanizado. Por ello recomendamos un segundo provisional (V2) que incorpore los ajustes clínicos del V1 y garantice durabilidad en la fase de osteointegración.

Flexibilidad del flujo (libre): la clínica puede optar por:

 Flujo integral con Medicalfit.

 Flujo parcial/por fases, con el laboratorio habitual.

 Solo la tecnología: Pdental / iFinder, MFTS7-IF, librerías Medicalfit y aditamentos.

Esto favorece la globalización, con mínima curva de aprendizaje, manteniendo la relación clínica–laboratorio local.

Caso clínico PF1 (Dr. Justo Martínez Balaguer) con protocolo MF3

Situación inicial: maxilar superior con piezas a exodonciar.

Planificación:

 Digitalización completa y gemelo virtual

 Planificación protésica aprobada por doctor y paciente.

 Dos guías quirúrgicas: una pre‐extracción (apoyada en dientes remanentes) para anchorpins y otra post‐extracción que mantiene esos anchorpins e incorpora cilindros guía de cada implante.

Cirugía: sencilla y predecible.

Registros postquirúrgicos: IO con MFTS7-IF + CBCT de control

Diseño y fabricación del provisional:

 Pasivizado automático (Pdental): el equipo Medicalfit corrige el IO y lo alinea con la planificación.

 Se entrega a clínica el STL para impresión del provisional V1

 Instalación poco después de finalizar la cirugía.

Tiempos reales: 2:45 hrs

1. Cirugía: 1 h 20 min.

2. Diseño full arch: 1 h.

3. Impresión: 12 min.

4. Post‐procesado: 15 min.

Ajustes: En el momento de la colocación del provisional V1, el doctor ajusta, toma nuevos registros de los cambios e indica las modificaciones necesarias para confeccionar la V2 mecanizada, que sustituye al V1 y asegura prestaciones mecánicas y estabilidad funcional/estética durante la osteointegración

Definitivo: con la osteointegración completada, se escanean las modificaciones del provisional para

Fig. 4. Software de detección automática de implantes en CBCT – i-Finder.
5
Fig. 5. Scanbody conformador de encía Medicalfit Tissue Shaper (MFTS7-IF).

replicarlas en el diseño final. Si fuese necesario, se escanean tejidos y oclusión para ajustar el diseño.

Descripción del caso clínico Planificación

Se realiza una planificación de los implantes en base a un diseño prostodóntico, ya que se van a planificar los implantes protésicamente guiados para obtener un éxito biológico, prostético y estético a largo plazo, buscando la estabilidad de los tejidos. Se trata de conseguir obtener una posición 3D optima del implante en relación con la prótesis. (Figura 7)

Tras la planificación de 8 implantes en maxilar superior colocados en posición 16, 15, 13, 11, 21, 23, 25 y 26 se realizan extracciones virtuales de las piezas 21,11 y 13 para así poder realizar la colocación de estos implantes y obtener una guía dento-muco soportada con el apoyo de anchorpins, para así tener una mayor estabilidad y precisión de la guía quirúrgica. (Figura 8)

Tras dicha planificación implantológica se procede a la colocación virtual de tres anchorpins para el diseño de una guía de colocación de pines, soportada por las 5 piezas remanentes, para así dar mayor estabilidad a la férula de osteotomía de implantes. Con lo cual generamos una guía de osteotomía y colocación de implantes con anchorpins.

Fase quirúrgica. Fullguide surgery
Fig. 6. Planificación protésica.
Fig. 7. Planificación de implantes en base a la planificación protésica.
Fig. 8. Guía anchorpins - Guía osteotomía implantes.
Fig. 9. Colocación de anchorpins previa a la extracción selectiva con la primera guía de anchorpins soportada por los dientes remanentes.

artículo clínico

Extracción selectiva de las piezas 21 11 y 13 para así tener un soporte dentario, muco y anchorpin soportado. (Figura 10)

Fig. 10. Osteotomía y colocación completamente guiada de implantes. En este caso, implantes MIS C1.

2. Comprobación estética.

3. Ajustes oclusales.

4. Valoración de presión en alveolos.

5. Comprobación de ajuste sobre MUA. (Figuras 12 a 15)

Fig. 11. Escaneado intraoral y cbct con los scanbodies MFTS7-IF para la fabricación del provisional V1.

10

Una vez colocados los implantes se procede a realizar el injerto, con xenoinjerto de los alveolos y se colocan interfases tipo MUA de altura 2 mm, realizando previamente un avellanado guiado del implante. Dado que procederemos a la colocación de la carga impresa ultrarrápida no es preciso realizar sutura ya que tendremos un sellado de los alveolos con la provisionalización ultrarrápida para así evitar el colapso de los tejidos. (Figura 11)

11

Transcurrida aproximadamente 1h, se manda stl del diseño, para ser impreso durante 12 minutos, además de otros 15 min de acabado, curado y pulido. Se coloca la prótesis impresa transicional (V1), que va a tener una serie de funciones:

1. Sellado de alveolos temprano.

Control de calidad y fiabilidad estructural

Para garantizar la viabilidad a largo plazo:

 Ajuste pasivo con Pdental y/o iFinder (pasivizado automático del IO con MFTS7-IF).

 Análisis de Elementos Finitos (AEF): eliminación de zonas de concentración de tensiones, reduciendo riesgo de fractura.

 Librerías Medicalfit sin interfases (trabajan sobre el transepitelial), con diseño reforzado para soportar el torque del atornillado y asentamiento ideal en el material restaurador.

 Ultrapulido automático del circonio monolítico: superficies basales, linguales y oclusales con acabado homogéneo, pulido y estandarizado entre casos.

¿Qué cambia con MF3HS?

 Tiempo: de provisionales en 24 h a V1 en 2–3 horas y V2 (Opcional) a 48 h.

 Escalabilidad: ejecución en lotes y automatización  menos dependencia del operario experto.

 Pasividad: mantenida por la corrección CBCTIO y validada con QA.

 Economía: menos citas, menos incidencias, mayor eficiencia operativa.

 Libertad: flujo abierto; integra a laboratorios locales y distintas realidades clínicas.

Checklist operativo MF3HS (clínica + laboratorio)

Antes de cirugía

 IO + CBCT + fotos  gemelo virtual.

 Planificación protésica e implantes (guía/navegación/libre).

Día de cirugía

 Implantes.

 IO con MFTS7-IF + CBCT de control

 Carga de datos en Pdental  pasivizado y diseño.

 Impresión V1 (ultrarrápida) + postproceso.

 Toma de registros de ajustes.

 Atornillado V1

A partir de las 24h.

 V2 mecanizada (PMMA) con ajustes incorporados.

Tras osteointegración

Transferencia de cambios del provisional al definitivo en circonio monolítico ultrapulido

Conclusión

MF3HS es la evolución natural de una década de experiencia clínica y digital: combina IA aplicada/ algoritmia, CBCT + IO, pasivizado fiable y CAM ultrarrápido para lograr rehabilitaciones Full Arch más rápidas, reproducibles y globalmente escalables. Mantiene la precisión y la pasividad de Medicalfit 1, añade automatización y ofrece un flujo flexible que se adapta al ecosistema de cada clínica y laboratorio. 

Fig. 12. Comprobación de ajuste de provisional V1 y prótesis definitiva sobre MUAs.
13
Fig. 13. Provisional V1 – Provisional V2 – Prótesis definitiva Circonio monolítico ultrapulido.
Fig. 14. Prótesis y tejidos definitivos.
Fig. 15. Situación previa VS situación final.

DESCUBRE REGENERATE™: REGENERA

EL ESMALTE, UNA SOLUCIÓN PARA LA SENSIBILIDAD DENTAL

La sensibilidad dental es un motivo de consulta cada vez más frecuente. En España, aproximadamente el 30% de la población la padece¹, lo que impacta de forma significativa en la calidad de vida. Este dolor breve y agudo se desencadena ante estímulos como alimentos o bebidas frías, calientes, dulces o ácidas, y a menudo se convierte en un desafío para la práctica clínica.

Erosión del esmalte: la raíz del problema

Entre las causas más comunes de la hipersensibilidad se encuentra la erosión del esmalte, un proceso progresivo que compromete la integridad

dental. Se calcula que 1 de cada 2 adultos muestra signos de erosión², aunque muchos pacientes no son conscientes hasta que el desgaste es evidente. El esmalte es el tejido más duro del cuerpo humano, pero carece de capacidad de autorreparación. Su pérdida se traduce en dolor, decoloración, fragilidad e incluso transparencia de los bordes incisales. De hecho, más del 80% de los problemas dentales habituales están vinculados a la erosión y a los ataques ácidos repetidos.

Identificar a los pacientes de riesgo

Para intervenir de forma temprana, es clave reconocer a los pacientes más susceptibles:

 Personas que han recibido tratamientos de blanqueamiento dental.

 Pacientes con dietas ricas en alimentos y bebidas ácidas.

 Usuarios de alineadores invisibles, en los que puede variar el pH bucal.

 Pacientes con trastornos alimenticios como la bulimia.

 Personas en tratamiento oncológico, con cambios en la saliva.

 Pacientes con hipomineralización incisivo-molar (MIH) o hipoplasia.

 Personas con bruxismo, que sufren desgaste mecánico añadido.

 Pacientes con alteraciones en el flujo salival por medicación o patología.

Detectar a estos grupos permite al odontólogo y al higienista dental diseñar protocolos preventivos individualizados.

REGENERATE™ Enamel Science: ciencia aplicada a la regeneración

En este contexto, REGENERATE™ Enamel Science se presenta como una herramienta de vanguardia para abordar la erosión y la sensibilidad. Su propuesta se basa en la tecnología NR-5™, clínicamente probada y desarrollada para regenerar el esmalte dental con el mismo mineral que lo compone.

NR-5™: cómo funciona

La tecnología NR-5™ combina silicato de calcio y fosfato de sodio. Al entrar en contacto con la saliva, libera iones de calcio y fosfato que se depositan sobre la superficie dental. Estos iones forman una capa de hidroxiapatita, idéntica al mineral natural del esmalte, que se integra con la estructura existente.

 Resultado clínico: restaura la microdureza y el contenido mineral del esmalte³.

 Beneficio directo: reduce la exposición de los túbulos dentinarios, disminuyendo así la hipersensibilidad.

Productos clave para la práctica profesional

La gama REGENERATE ofrece soluciones que los profesionales pueden recomendar en sus planes de mantenimiento:

 Dentífrico Avanzado REGENERATE: utiliza la tecnología NR-5™ para regenerar hasta el 100% de la superficie del esmalte erosionado⁴. Su uso regular ayuda a recuperar el blanco natural del diente y a reducir la sensibilidad.

 Enjuague Bucal Mousse Avanzado: con tecnología FOAM, libera microburbujas que alcanzan zonas de difícil acceso, protegiendo el esmalte y ofreciendo una sensación de frescor duradero. Su fórmula sin alcohol resulta adecuada incluso para pacientes con encías delicadas.

REGENERATE™ en SEPA 2025, Barcelona

La innovación en regeneración del esmalte será uno de los temas presentes en el Congreso SEPA 2025, que se celebrará del 27 al 29 de noviembre en Barcelona. REGENERATE™ participará en este importante encuentro de la periodoncia y la salud bucodental, compartiendo con profesionales las últimas evidencias científicas sobre la tecnología

NR-5™ y su aplicación en la prevención de la erosión y la sensibilidad.

Este congreso representa una oportunidad para que los profesionales conozcan de primera mano los avances en regeneración del esmalte, intercambien experiencias clínicas y exploren protocolos de tratamiento mínimamente invasivos.

Integración en la práctica clínica

La incorporación de NR-5™ en la rutina diaria de higiene representa una intervención temprana que refuerza las medidas preventivas y reduce la progresión de la erosión.

Conclusión

La sensibilidad dental es más que una molestia: es una señal de alerta frente a la erosión del esmalte. Con su tecnología NR-5™, REGENERATE™ Enamel Science ofrece a odontólogos, dentistas e higienistas una solución basada en evidencia para regenerar el esmalte, reforzar la estructura dental y disminuir la hipersensibilidad de manera eficaz.

La presencia de REGENERATE™ en SEPA 2025 Barcelona subraya la relevancia de esta innovación, invitando a los profesionales a conocer, debatir e integrar en su práctica diaria un enfoque que redefine la prevención y el cuidado del esmalte. 

1 Estudio Sanitas de Salud Bucodental 2023. “Dientes sensibles, gingivitis y bruxismo, los principales problemas dentales de los españoles”.

2 Bartlett DW, et al. Prevalence of tooth wear on buccal and lingual surfaces and possible risk factors in young European adults. J Dent. 2013; 41:1007–1013.

3 Actúa en las invisibles fases iniciales del proceso de erosión del esmalte restaurando el contenido mineral y la microdureza del esmalte mediante el uso regular. Clínicamente probado.

4 Cobertura completa de esmalte erosionado con mineral de hidroxiapatita.

Descubre más en www.regeneratenr5.es

EL CONGRESO IBÉRICO NOBEL BIOCARE

2025 “IMPLANTONEERS” MARCA UN HITO EN SEVILLA CON MÁS DE 400 PARTICIPANTES

El Congreso Ibérico Nobel Biocare 2025, celebrado los días 26 y 27 de septiembre en Sevilla bajo el lema “Implantoneers: Redefining Tomorrow”, reunió a más de 400 profesionales. El encuentro contó con un programa científico de alto nivel que incluyó una cirugía en directo del Dr. Istvan Urban y ponencias sobre regeneración ósea, estética, flujo digital y zygomas.

Nobel Biocare celebró con gran éxito su Congreso Ibérico 2025 bajo el lema “Implantoneers: Redefining Tomorrow”, consolidándose como el encuentro científico de referencia en implantología dental en la península ibérica. El evento, que agotó todas sus plazas con tres meses de antelación, reunió a más de 400 profesionales en el Hotel Barceló Sevilla Renacimiento para compartir innovación, ciencia y las últimas tendencias en rehabilitación oral.

El nombre Implantoneers hace referencia a los “pioneers of implantology”, rindiendo homenaje a quienes han marcado el camino en esta disciplina. Entre ellos, el mentor y visionario Per Ingvar Brånemark, cuya investigación sobre la osteointegración transformó la implantología moderna y sigue inspirando a Nobel Biocare para liderar el presente y el futuro.

Un programa de alto nivel científico y clínico

Durante día y medio de formación intensiva, el congreso comenzó con una cirugía en directo desde Budapest a cargo del Dr. Istvan Urban, seguida de un completo programa, moderado por Liliana Silva e Iñaki Gamborena, que incluyó debates sobre regeneración ósea, manejo de tejidos blandos, estética inmediata, flujo digital completo y el futuro de los tratamientos con zygomas. En total, 33 ponentes expertos compartieron sus conocimientos y experiencias, ofreciendo una visión integral sobre cómo mejorar la predictibilidad y la eficiencia en la práctica clínica.

Además de las sesiones científicas, los asistentes disfrutaron de espacios de conexión y una cena afterwork que fomentaron el intercambio de ideas y la colaboración entre colegas.

Mirando hacia el futuro

Tras el éxito de esta edición, Vasco Afonso, Regional Director Iberia de Nobel Biocare, despidió el evento y emplazó a todos los profesionales al próximo Congreso Ibérico, que se celebrará en Ibiza los días 1 y 2 de octubre de 2026, para seguir liderando juntos la innovación en implantología. 

Descubre la historia de la implantología dental moderna en www.nobelbiocare.com/es-es/nuestra-historia

Siguiendo la evolución de la Odontología para el profesional del sector llamado a construir el futuro

INSIDE

THE CLINIC

Clínica Dental

Alqalat

ENTREVISTA

“La incorporación ética y segura de la IA en las tecnologías sanitarias es esencial para seguir transformando de forma eficaz nuestro sistema sanitario”

Raquel Navarro, gerente de la Fundación Fenin, y Ángela Paredes, patrona del Sector Dental en la Fundación Fenin

GESTIÓN DE CLÍNICAS

Mentalidad deportiva para odontólogos, una práctica clave para el bienestar personal

Autora: Dra. Alba Sánchez

OPINIÓN

• Más allá de los dientes: la responsabilidad del odontólogo ante la respiración oral

Por: Dra. Núria Noguerón Dorca, autora de Una mosca en mi barriga

• La revolución en la odontología

Por: Iñigo Murga Gandasegui

Salón Internacional de Equipos, Productos y Servicios Dentales

El camino a la innovación odontológica.

Quiero participar

Colabora:
Patrocina / Sponsor:

DEXIS PRESENTA EL ESCÁNER

IMPREVO, IMPULSADO

POR LA INNOVACIÓN IS SCANFLOW

DEXIS, líder global en imagen por diagnóstico lanza el DEXIS Imprevo, impulsado por el software IS ScanFlow 2.0. DEXIS une las marcas más premiadas y fiables de la industria en imagenología 2D y 3D, escaneo intraoral y software de diagnóstico dentro de un único ecosistema conectado y potenciado por IA.

Diseñado por DEXIS, Imprevo establece un nuevo estándar en excelencia de imagen por diagnóstico. Ofrece una velocidad impresionante, precisión y libertad inalámbrica. Este escáner intraoral inalámbrico permite a los profesionales navegar sin esfuerzo por workflow digital, con una precisión y detalle excepcionales, facilidad de uso y libertad de movimientol. Su avanzada tecnología de imagen y diseño ergonómico respaldan un flujo de trabajo digital fluido de principio a fin.

“DEXIS Imprevo representa un salto adelante en odontología digital”, afirmó Robert Befidi, presidente de DEXIS. “Nos enorgullece anunciar este nuevo lanzamiento, diseñado para ofrecer mayor confianza en el escaneo, eficiencia y comodidad para el paciente. Al escuchar a nuestros clientes y aprovechar nuestra experiencia, hemos desarrollado una solución de escaneo que fortalece significativamente el portafolio de DEXIS”, añade.

Características destacadas de DEXIS Imprevo con IS ScanFlow 2.0

• Diseño más fino: 20% más fino que la familia IS 3800, mejorando la comodidad tanto para el clínico como para el paciente.

 Mayor velocidad: hasta 40 fotogramas por segundo (FPS), el doble que los escáneres IS 3800.

 Mayor profundidad de campo (DOF): 25 mm (de -2 a +23 mm), un aumento del 39% respecto a la serie IS 3800, facilitando el escaneo de preparaciones más profundas y espacios interdentales.

 Procesamiento en paralelo: utiliza tecnología de procesamiento paralelo basada en GPU para obtener mallas más detalladas, mayor densidad de datos y procesamiento más rápido.

 Integraciones fluidas: libertad de elección gracias a integraciones con los principales socios de terceros.

“El escáner DEXIS Imprevo transmite inmediatamente sensación de solidez y confianza, manteniendo una excelente manejabilidad. La evolución del software DEXIS IS ScanFlow v2.0 hace que toda la experiencia de escaneo sea más fluida y agradable, tanto para el clínico como para el paciente”, comentó el Dr. Carlo Massimo Saratti.

“Las impresiones digitales son muy nítidas y bien definidas. Los detalles en espacios reducidos, como las regiones interproximales, son más claros y visibles”, afirmó Leonardo Franchini, Técnico Dental.

IS ScanFlow 2.0 también ofrece integración total con DTX Studio™ Clinic, el centro de imágenes centralizado para datos intraorales, 2D y 3D. La plataforma potenciada por IA agiliza el diagnóstico, la comunicación con el paciente, la planificación del tratamiento y la creación de guías quirúrgicas. Con esta integración, los usuarios de Imprevo pueden automatizar la configuración de casos, fusionar fácilmente escaneos 3D e intraorales y completar la planificación del tratamiento en el sillón. Imprevo es la última incorporación al ecosistema digital de DEXIS, una plataforma impulsada por IA que unifica el flujo de trabajo dental desde el diagnóstico hasta la entrega. Con este lanzamiento, DEXIS reafirma su compromiso con la innovación en odontología digital, empoderando a los clínicos con herramientas inteligentes e intuitivas que elevan la atención al paciente y la eficiencia de la práctica. 

Para más información: dexis.com/es-es/imprevo

CLÍNICA DENTAL ALQALAT

Directora: Dra. Mireya Pérez

IDENTIDAD, FILOSOFÍA Y VISIÓN DE LA CLÍNICA

“Desde que terminé la carrera tuve muy claro que quería ofrecer una odontología basada en la confianza, la calidad y el trato humano. En 2011 decidí dar el paso y abrir mi propia clínica para poder aplicar mis propios estándares éticos y profesionales, y construir un espacio donde los pacientes se sintieran realmente cuidados”, explica la Dra. Mireya Pérez, directora de Clínica Dental Alqalat.

Así nació Clínica Dental Alqalat, un proyecto personal que con el tiempo se ha consolidado como una referencia en odontología moderna, digital y de trato cercano en Alcalá la Real (Jaén). Más de una década después, aquella idea inicial sigue guiando cada decisión: cuidar la salud bucodental de

las personas desde la empatía y la excelencia técnica. “Lo que más me apasiona es poder transformar la salud y la sonrisa de las personas. Me encanta combinar la precisión técnica con el trato humano: escuchar, educar y acompañar a cada paciente en todo el proceso”, asegura la Dra. Pérez.

EQUIPO HUMANO

El equipo de Dental Alqalat trabaja para que la visita al dentista sea una experiencia positiva, especialmente en el caso de los más pequeños. Con las familias y los niños fomentan una relación cercana y educativa, enseñando hábitos saludables desde edades tempranas y promoviendo la prevención como la mejor herramienta de cuidado.

Calle Obispo Ceballos, 4 – Bajo

siguiendo la evolución de la Odontología

“Nos gusta que los niños aprendan a ver la clínica dental como un lugar de confianza, no como algo que temer. Nuestra forma de trabajar se basa en la empatía, la paciencia y la educación”, explican desde Clínica Dental Alqalat. Gracias a este enfoque humano, Dental Alqalat ha consolidado una relación duradera con sus pacientes, que destacan la cercanía del equipo y la tranquilidad que transmiten durante cada tratamiento.

INSTALACIONES

PENSADAS PARA EL BIENESTAR

Las nuevas instalaciones de la clínica reflejan una filosofía moderna, tecnológica y centrada en el paciente. Actualmente, Dental Alqalat cuenta con dos gabinetes totalmente equipados, diseñados para ofrecer tratamientos integrales con la máxima comodidad y eficiencia. Cada detalle del espacio se ha pensado para generar confianza y bienestar, tanto para el paciente como para el equipo.

“Queríamos que nuestras instalaciones transmitieran calma y profesionalidad. Que los pacientes perciban que están en un entorno seguro, con tecnología avanzada, pero también humano”, aseguran.

DIGITALIZACIÓN Y TRANSFORMACIÓN TECNOLÓGICA

En Dental Alqalat, la tecnología es una herramienta esencial para mejorar la calidad asistencial y la experiencia del paciente.

Además de la ortodoncia invisible, planificada con sistemas digitales como Spark®, la clínica dispone de:

 Escáner intraoral digital, que elimina las impresiones tradicionales y les permite realizar estudios de ortodoncia, planificación estética y seguimiento de tratamientos con total precisión.

 Radiografía 3D (CBCT), fundamental para una planificación implantológica precisa y diagnósticos más completos.

 Software de diseño digital de sonrisa, que permite personalizar los tratamientos estéticos y visualizar los resultados antes de iniciarlos.

 Sistemas de fotografía clínica y seguimiento digital, para documentar la evolución de los tratamientos y ofrecer una comunicación más clara con el paciente.

Para Dental Alqalat, “la digitalización nos permite ser más eficientes, planificar con exactitud y ofrecer una odontología más cómoda, segura y predecible”.

inside the clinic

UN EQUIPO MULTIDISCIPLINAR CON UNA MISMA VOCACIÓN

La clínica cuenta con un equipo de odontólogos y profesionales con más de diez años de experiencia media, especializados en implantología, ortodoncia y estética dental. Las higienistas y auxiliares desempeñan un papel esencial en la educación y acompañamiento del paciente, reforzando la prevención y la comunicación.

“El trabajo en equipo es una de nuestras mayores fortalezas. Cada caso se aborda de forma conjunta, buscando siempre la mejor solución integral. La excelencia clínica no es fruto del azar, sino del compromiso diario de todo el equipo”, indica la Dra. Mireya Pérez.

COMPROMISO CON LA CALIDAD Y LA MEJORA CONTINUA

Dental Alqalat está certificada con el sello DentalQuality®, un reconocimiento que acredita el cumplimiento de la Norma privada de calidad AE513/17. Esta certificación garantiza que la clínica cumple con exigentes estándares en materia de atención clínica, protocolos, seguridad, comunicación y ética profesional.

“Para nosotros, la certificación DentalQuality® no es solo un distintivo, sino una forma de trabajar. Nos ha ayudado a revisar procesos, estandarizar protocolos y reforzar la confianza del paciente desde la transparencia”. Este aval consolida el compromiso de la Dra. Mireya Pérez y su equipo con una odontología basada en el rigor científico, la responsabilidad y la mejora continua.

LA EXPERIENCIA DEL PACIENTE, UN PILAR DE CONFIANZA

En Dental Alqalat, la experiencia del paciente ocupa un lugar central. Desde el primer contacto, la clínica busca generar un ambiente tranquilo, acogedor y cercano, donde cada persona se sienta escuchada y comprendida.

En este sentido, destacan que “damos una enorme importancia a la comunicación y al ambiente de la clínica. Queremos que cada paciente perciba que nos tomamos el tiempo necesario para explicarle, responder sus dudas y acompañarle durante todo el proceso”.

EDUCACIÓN Y COMPROMISO SOCIAL

Más allá de su labor clínica, Dental Alqalat también participa en charlas escolares y campañas locales de salud bucodental, colaborando con entidades sociales para acercar la prevención y la educación oral a toda la población. En este sentido, la Dra. Mireya Pérez apunta que “creemos en la educación como base de la salud. Si conseguimos que los niños aprendan a cuidar su boca y entiendan por qué es importante, estaremos mejorando su futuro”.

Estas acciones reflejan la vocación de servicio de la clínica y su compromiso con la comunidad de Alcalá la Real.

MIRANDO AL FUTURO

De cara a los próximos años, la Dra. Mireya Pérez mantiene una visión clara: seguir creciendo de forma sostenible, apostar por la innovación y reforzar la formación continua del equipo.

“Queremos consolidarnos como una clínica de referencia en odontología de calidad y confianza, manteniendo siempre el trato humano que nos diferencia”, asegura.

Ese equilibrio entre tecnología y cercanía define la esencia de Dental Alqalat: una clínica donde la excelencia técnica convive con la empatía, y donde cada sonrisa tratada es una historia de confianza. 

@dra.mireya_perez

DI HOLA A MIDAS. LA PRIMERA PRENSA DIGITAL DE RESTAURACIÓN DEL MUNDO

LA SOLUCIÓN DEFINITIVA PARA RESTAURACIONES EN CLÍNICA. AUTORIZACIÓN MDR PARA CORONAS, INLAYS, ONLAYS Y CARILLAS.

VEA MIDAS EN ACCIÓN SPRINTRAY.COM/ES-ES/DEMO-SPRINTRAY-MIDAS

“LA INCORPORACIÓN ÉTICA Y SEGURA DE LA IA EN LAS TECNOLOGÍAS

SANITARIAS ES ESENCIAL PARA

SEGUIR

TRANSFORMANDO DE FORMA

EFICAZ NUESTRO SISTEMA SANITARIO”

Raquel Navarro, gerente de la Fundación Fenin, y Ángela Paredes, patrona del Sector Dental en la Fundación Fenin

Desde la Fundación Fenin trabajan para promover el valor social de la tecnología sanitaria y la mejor salud de la población, así como facilitar y hacer más seguro su uso para los profesionales de la sanidad y los pacientes, con información de valor y cercana a la población. Así lo explica en esta entrevista Raquel Navarro, gerente de la Fundación, junto a Ángela Paredes, patrona del Sector Dental en la Fundación, quien destaca el potencial del sector dental para avanzar no sólo en innovación, sino también en inclusión, sostenibilidad y formación.

Raquel Navarro.
Ángela Paredes.

siguiendo la evolución de la Odontología

 DM.- ¿Cuál es la misión actual de la Fundación Fenin y cómo ha evolucionado desde sus inicios?

Raquel Navarro (R.N.).- La Fundación se creó en 2007 y su propósito es el de promover el valor social de la tecnología sanitaria y la mejor salud de la población, así como facilitar y hacer más seguro su uso para los profesionales de la sanidad y los pacientes, con información de valor y cercana a la población. Sin perder de vista este fin, la Fundación ha ido evolucionando y adaptándose a los nuevos tiempos. Por ejemplo, en 2024, a punto de alcanzar su ‘mayoría de edad’, inició una nueva etapa cambiando su denominación original, ‘Fundación Tecnología y Salud’, a Fundación Fenin, alineándose su nombre a su entidad matriz (la Federación Española de Empresas de Tecnología Sanitaria), manteniendo su esencia fundacional y ampliando el alcance de sus acciones y propósitos.

 DM.- Teniendo en cuenta los cinco pilares de actuación que guían su trabajo —valor, visión, formación, innovación y ser nexo entre pacientes y sector—, ¿cómo se integran entre sí estos ejes en el Plan de Actuación y qué visión de conjunto ofrecen de cara al futuro?

R.N.- Muchas de las iniciativas y proyectos de la Fundación son trasversales a todos esos ejes. Por ejemplo, cuando organizamos encuentros con profesionales y pacientes sobre el valor de la tecnología sanitaria en diferentes campos en la mejora de la salud de los ciudadanos, en las distintas áreas de la práctica clínica, en la sostenibilidad medioambiental, etc. También en el apoyo a los profesionales de la salud a través de la financiación de estudios de investigación, elaborando informes para la transferencia del conocimiento, etc.

 DM.- ¿Cómo contribuyen a sus objetivos los proyectos más destacados de la actualidad, como “Atención Sanitaria y Social en el Domicilio”, la Cátedra “Tecnología, Salud y Sociedad” o los Premios Tecnología y Salud?

R.N.- Estos proyectos, por supuesto, contribuyen muy significativamente a la consecución de los objetivos de la Fundación, pero, sobre todo, contribuyen a trasladar a la población todo lo bueno que la tecnología sanitaria puede hacer por todos nosotros, individualmente y como sociedad y nuestras necesidades cambiantes. Con el proyecto “Atención Sanitaria y Social en el Domicilio” promovemos la implementación de nuevos modelos asistenciales

con los que dar respuesta a actuales retos sociosanitarios como el envejecimiento, la dependencia, la cronicidad…, y visibilizar el papel fundamental de las tecnologías sanitarias en ellos. Con la Cátedra “Tecnología, Salud y Sociedad”, pionera en España, acercamos la tecnología sanitaria al mundo académico, generando nuevos espacios de debate y reflexión. Y con nuestros tradicionales premios anuales, se reconoce la contribución de personas e instituciones para el desarrollo de la tecnología sanitaria, es decir, lo que también se hace, desde fuera de la industria, por poner en valor la tecnología sanitaria.

 DM.- La digitalización y la inteligencia artificial (IA) están transformando la atención sanitaria. ¿Cómo está afrontando la Fundación temas críticos como la ética, la transparencia y la desigualdad territorial en su implementación?

R.N.- Nuevamente, siendo fieles a nuestro propósito: facilitando la formación y el mejor conocimiento, y la información de valor a la sociedad. Precisamente, en el marco de la Cátedra “Tecnología, Salud y Sociedad” hemos elaborado, junto con Fenin, el informe “La Tecnología Sanitaria ante la digitalización y la inteligencia artificial” en el que se realiza una ‘fotografía’ de su nivel de implantación en la Sanidad y se abordan los retos ligados a la ética, seguridad y transparencia, así como la formación de los profesionales o su implementación equitativa en toda la geografía nacional, que aún plantea la utilización de la IA en Sanidad. Tenemos claro que la incorporación ética y segura de la IA en las tecnologías sanitarias es esencial para seguir transformando de forma eficaz nuestro sistema sanitario.

entrevista

El propósito de la Fundación Fenin es promover el valor social de la tecnología sanitaria y la mejor salud de la población, así como facilitar y hacer más seguro su uso para los profesionales de la sanidad y los pacientes, con información de valor y cercana a la población

Raquel Navarro

Gerente de la Fundación Fenin

 DM.- ¿Puede adelantarnos algún proyecto o iniciativa que la Fundación Fenin tenga previsto poner en marcha próximamente y que refleje esta visión de futuro?

R.N.- La Fundación Fenin presentará en los próximos meses los resultados de dos estudios de investigación que están muy ligados a sus fines: uno relacionado con la salud bucodental en las personas con discapa-

cidad, llevado a cabo en colaboración con la Sociedad Española de Odontoestomatología para pacientes con necesidades especiales (SEOENE); y otro sobre el recorrido asistencial de pacientes con heridas crónicas, complejas o difícil cicatrización, en colaboración con el Instituto de Investigación de Bizkaia. Y, por supuesto, continuaremos con el desarrollo de proyectos como el de “Atención Sanitaria y Social en el Domicilio”, el cual ha recibido varios reconocimientos este año, y otras campañas como la exposición itinerante “Las otras fotos de tu vida” y los videopodcast #TecnologíaparaVivir, que os animo a conocer y que muestran, con testimonios en primera persona, cómo la tecnología sanitaria nos acompaña en todas las etapas de la vida: desde antes de nacer hasta la vejez.

 DM.- ¿Cuál es su responsabilidad como patrona del Sector Dental en la Fundación Fenin? Ángela Paredes (A.P.).- Como patrona del Sector Dental, mi responsabilidad se articula en torno a cuatro grandes ejes. En primer lugar, identificar las necesidades reales del ecosistema odontológico, desde la prevención hasta la incorporación de nuevas tecnologías en la práctica clínica. En segundo lugar, impulsar proyectos que promuevan la formación continua, la divulgación científica y la sostenibilidad, siempre con el foco puesto en mejorar la atención al paciente y el trabajo de los profesionales.

También me corresponde fomentar el diálogo entre empresas, instituciones y profesionales, creando puentes que permitan avanzar hacia un sector más cohesionado, ético y eficiente. Y, por supuesto, velar por el cumplimiento de los principios de diligencia y lealtad, asegurando que cada iniciativa esté alineada con los objetivos de la Fundación y con el interés general de la sociedad.

 DM.- ¿Qué puede aportar como Ángela Paredes, profesional vinculada al sector sanitario toda tu carrera profesional y al sector dental en concreto los últimos 27 años?

A.P.- Mi trayectoria profesional me ha permitido vivir el sector sanitario desde múltiples perspectivas, lo que me aporta una visión integral y estratégica. En estos 27 años vinculada al ámbito dental, he tenido la oportunidad de trabajar en proyectos que combinan la gestión, la innovación y la formación en el sector dental, lo que me ha dado una comprensión profunda de sus retos y oportunidades.

siguiendo la evolución de la Odontología

Creo firmemente en el valor de la colaboración interdisciplinar y en la necesidad de impulsar iniciativas que respondan a las necesidades reales del día a día. Mi compromiso con la excelencia, la ética profesional y la mejora continua me permite contribuir con propuestas que no solo buscan resultados, sino también impacto social. Como patrona, mi objetivo es acompañar al sector en su evolución, sin perder de vista su esencia: el cuidado de la salud bucodental como parte fundamental del bienestar de las personas.

 DM.- Desde su experiencia en el sector dental, ¿qué retos ve actualmente en cuanto a la adopción de tecnología sanitaria en la clínica dental y cómo puede la Fundación aportar soluciones?

A.P.- La adopción de tecnología sanitaria en el ámbito dental presenta varios desafíos que requieren una mirada estratégica. Por un lado, la inversión inicial en gran equipamiento sigue siendo una barrera para muchas clínicas, especialmente las de menor tamaño. Son inversiones económicas considerables en el momento de la adquisición y además han de ir acompañadas de un plan de acompañamiento en la post venta para garantizar la óptima vida útil de los equipos. Por otro lado, la formación específica es clave. No basta con adquirir tecnología; hay que saber integrarla en la práctica clínica. A esto se suma la dificultad de interoperabilidad entre sistemas, que complica la gestión de datos y la conexión entre plataformas. Y no podemos olvidar la concienciación del paciente, que muchas veces desconoce cómo estas herramientas pueden mejorar su experiencia y sus resultados. Desde la Fundación Fenin, estamos trabajando para ser un agente facilitador. Promovemos campañas y materiales divulgativos junto a entidades ligadas al sector dental (universidades, empresas, etc.) como puede ser el decálogo “Prevención de infecciones en Odontología” y el documento “Reprocesamiento del instrumental de las clínicas dentales”. También hemos firmado un convenio con la Fundación Dental Española que permitirá realizar nuevas iniciativas en este sentido. Asimismo, impulsamos programas de formación continua, fomentamos la colaboración público-privada y reconocemos las buenas prácticas a través de iniciativas como los Premios Tecnología y Salud. Además, apostamos por una digitaliza-

La

Fundación Fenin está demostrando que el sector dental no solo puede avanzar en innovación, sino también en inclusión, sostenibilidad y formación

Ángela Paredes

Patrona del Sector Dental en la Fundación Fenin

ción inclusiva, que acerque la tecnología a todos los ciudadanos, sin generar brechas. Porque creemos que la innovación debe ser sinónimo de equidad.

 DM.- ¿En qué proyecto o línea de trabajo dirigida al ámbito dental está inmersa la Fundación? A.P.- Tal y como ha explicado Raquel Navarro, la Fundación Fenin está inmersa en varias líneas de trabajo que tienen como objetivo fortalecer el sector dental desde una perspectiva tecnológica, inclusiva y formativa. Uno de los proyectos más relevantes es el estudio que estamos desarrollando

junto a SEOENE, centrado en evaluar las prestaciones en salud bucodental para personas con necesidades especiales y el grado de implementación de la formación académica para su atención en las distintas comunidades autónomas. Este proyecto, que se enmarca dentro de la Cátedra Interuniversitaria Tecnología, Salud y Sociedad, busca generar un mapa nacional que permita identificar brechas y oportunidades de mejora.

Además, en el próximo congreso de SEOENE, tanto Raquel Navarro como yo participaremos activamente para presentar la Fundación Fenin y compartir experiencias sobre cómo la tecnología sanitaria puede transformar la atención bucodental en colectivos vulnerables. Este tipo de encuentros son clave para fomentar el diálogo entre profesionales, investigadores y pacientes, y para seguir construyendo un sector dental más accesible y ético.

Desde la Fundación también estamos trabajando en iniciativas de divulgación y formación continua, como jornadas temáticas, informes técnicos y colaboraciones con universidades, que permiten acercar la innovación a la práctica clínica. Todo ello con

el objetivo de que la tecnología no sea solo una herramienta, sino un verdadero motor de cambio en la salud bucodental.

En definitiva, la Fundación Fenin está demostrando que el sector dental no solo puede avanzar en innovación, sino también en inclusión, sostenibilidad y formación. Desde mi papel como patrona, y junto a Raquel Navarro como gerente, estamos comprometidas con impulsar proyectos que respondan a las necesidades reales de los profesionales y pacientes, especialmente aquellos en situación de vulnerabilidad.

Nuestra participación en el próximo congreso de SEOENE será una oportunidad para seguir construyendo puentes entre la tecnología sanitaria y la atención bucodental especializada. Queremos que cada iniciativa, cada estudio y cada jornada sirva para transformar la práctica clínica y mejorar la calidad de vida de las personas.

La salud bucodental es parte esencial del bienestar, y desde la Fundación Fenin trabajamos para que el acceso a soluciones tecnológicas innovadoras sea una realidad para todos, sin excepción. 

LA ERA DIGITAL TAMBIÉN HA LLEGADO A EXPADENT

…y como siempre con los precios más competitivos del mercado

Escanea el código QR con tu smartphone para acceder al listado de precios o accede a www.expadent.com/precios

CORONA ZIRCONIO MULTICAPA

49,90 euros

MÁNDANOS TUS ARCHIVOS STL Y NOS PONDREMOS MANOS A LA OBRA

YA DISPONIBLE

EXPADENT APP

Hemos mejorado nuestro sistema de gestión, y ahora cualquiera de nuestros clientes podrán realizar los pedidos directamente desde nuestra aplicación, intuitivamente.

También permite hacer un seguimiento total del proceso de fabricación y de envío del pedido realizado.

gestión de clínicas

MENTALIDAD

DEPORTIVA PARA ODONTÓLOGOS, UNA PRÁCTICA CLAVE PARA EL BIENESTAR PERSONAL

La odontología es una profesión vocacional que exige agilidad y precisión para dominar el arte de la práctica clínica. En este artículo se revisa la importancia de entrenar la “puesta en escena” y la importancia del autocuidado por parte del profesional, practicando un mentalidad deportiva a través del coaching, con el fin de revisar sus capacidades, desbloquear inseguridades, reconectar con su motivación y disfrutar de la profesión.

La profesión de odontólogo es una disciplina única dentro de las Ciencias de la Salud que requiere el dominio de competencias tanto técnicas como no técnicas. Además de ejecutar procedimientos específicos, es necesario tomar decisiones, escuchar activamente y ejercitar la empatía, habilidades que nos permiten conectar de verdad con las personas.

La relación odontólogo-paciente es la base del encuentro asistencial. A partir de este vínculo se inicia un proceso terapéutico que puede ser breve o prolongado, hasta que el paciente recobre su salud bucodental. Durante la formación universitaria adquirimos competencias transversales como el pensamiento crítico o el comportamiento profesional, y competencias específicas como la ejecución de técnicas y procedimientos concretos. Aún hoy en día, suele haber una orientación más marcada hacia lo técnico que hacia el entrenamiento en habilidades no técnicas. Por ello, una de las funciones del profesor es también la de enseñar el arte detrás de la práctica clínica, que implica la delicada tarea de escuchar, comprender y actuar para crear un clima de trabajo adecuado.

Curva de aprendizaje, un camino lleno de retos

En la etapa formativa, los futuros profesionales son conscientes de que están aprendiendo y perfeccionando las técnicas. A su vez, observo con frecuencia cómo los estudiantes intentan evitar el dolor y el sufrimiento de sus pacientes, y cómo el mayor reto —y también el mejor resultado— aparece cuando se establece una verdadera relación de confianza con ellos. En mi opinión, mis estudiantes actuales, que son el futuro de nuestra profesión, reflexionan

Pexels

siguiendo la evolución de la Odontología

de forma distinta: no solo escuchan a los pacientes, sino que empiezan a escucharse a sí mismos y a comunicarlo entre ellos y con los profesores. El objetivo de nuestra práctica clínica es promover la salud de los pacientes, y la dirección debe ser siempre la de garantizar su seguridad. La odontología es una profesión vocacional que exige agilidad y precisión, sobre todo en los primeros años, cuando el énfasis suele estar en “afinar la mano” y solemos medir nuestro valor por los resultados inmediatos. Tenemos metas, queremos dominar el arte, pero ese camino está lleno de retos. La curva de aprendizaje sucede durante toda la carrera profesional. Probablemente en los inicios es cuando sentimos una mayor inseguridad a la hora de tomar decisiones o ejecutar ciertas técnicas. Y probablemente en esos momentos es cuando más nos tengamos que enfrentar a nuestros errores o a las complicaciones de los tratamientos. No obstante, aunque la experiencia es un grado, ésta no nos exime de padecer las mismas dificultades. Es cierto que con el tiempo aprendemos estrategias que nos ayudan a regularnos y a mejorar nuestra forma de proceder y también de recuperarnos frente a adversidades. Algunas personas también han tenido que trabajar activamente, mediante ayuda profesional, su respuesta emocional y su conducta frente a situaciones difíciles. Es justo ahí, en los no tan buenos momentos cuando tenemos la opción de elegir la reflexión, incluso hacer un stop y revisar nuestras acciones para ver cómo podemos alinearlas con nuestras capacidades.

“ En una profesión donde el estrés y el burnout, y en especial el agotamiento emocional, están tan presentes, resulta esencial cuidarnos para poder cuidar ”

Cuidarse para poder cuidar Los odontólogos tenemos una profesión exigente, que requiere precisión y paciencia, respetar los tiempos así como las emociones de quienes acompañamos. Mantenernos en forma para poder sostener las situaciones y la complejidad de lo que hacemos no es solo una cuestión física, sino también cognitiva, emocional y conductual. Como digo siempre: la puesta en escena, se entrena. A lo largo de los años he observado a personas muy capaces que no han llevado a la práctica sus habilidades o que han dejado de hacerlo. Aunque en ocasiones esto se debe a un cúmulo de circunstancias que no se han podido gestionar, algunas de las más habituales son la falta de confianza en nuestras capacidades, la dificultad para comunicarse con el equipo o los pacientes, la falta de motivación o de propósito, un bloqueo tras una experiencia adversa en la consulta o el tan habitual síndrome del impostor/a. La «cara B» de la profesión incluye molestias físicas por nuestra postura de trabajo, jornadas largas, la

Dra. Alba Sánchez

Odontóloga por la Universitat de Barcelona (UB), Profesora agregada y docente del Máster en Cirugía Bucal e Implantología Bucofacial en la UB.

Presidenta del Comité

Científico de la Sociedad Española de Cirugía Bucal e investigadora del Instituto IDIBELL.

Proyecto de coaching y programación neurolingüística, orientado a ayudar a profesionales

www.albasancheztorres.com doctora.albasanchez@gmail.com

gestión de clínicas

Una actitud humilde, reflexiva y abierta al aprendizaje nos mantiene motivados frente a la adversidad ”

intervención en un territorio anatómico altamente inervado, la alta prevalencia de ansiedad dental en la sociedad, la gestión de complicaciones o la comunicación de malas noticias. Muchas veces no hablamos de ello o lo compartimos solo en confianza, porque pensamos que nadie va a entenderlo. En una profesión donde el estrés y el burnout, y en especial el agotamiento emocional, están tan presentes, resulta esencial cuidarnos para poder cuidar. Siempre explico que los pacientes traen consigo una mochila llena de experiencias previas —a veces adversas—, necesidades y formas de ser. Pero los profesionales también cargamos la nuestra. Y durante mucho tiempo el foco estuvo casi exclusivamente en el bienestar del paciente, mientras que ahora tenemos la oportunidad de ampliar la mirada también hacia nosotros y acompañarnos en nuestro propio camino. La relación que tenemos con nosotros mismos es determinante: puede potenciarnos o, por el contrario, bloquear nuestras capacidades. Una actitud humilde, reflexiva y abierta al aprendizaje nos mantiene motivados frente a la adversidad. En cambio, una mirada excesivamente crítica o punitiva puede llevarnos a escondernos, a rechazar partes de nosotros o incluso a condicionar nuestra práctica clínica. Todos, en algún momento, hemos tenido pensamientos intrusivos mientras trabajamos. No se trata de eliminarlos, sino de aprender a soltarlos, de no fusionarnos con ellos y de seguir dando lo mejor de nosotros. Quizás algunos se reconozcan en las noches sin dormir repasando mentalmente la agenda o un tratamiento, u otros incluso tengan ansiedad y dudas cuando tratan a pacientes con miedo al dentista. Sabemos que un alto grado de ansiedad afecta la toma de decisiones, la capacidad para comunicar y la destreza manual, lo que puede derivar en errores diagnósticos o terapéuticos. Ciertamente,

se ha observado que las deficiencias en habilidades no técnicas, como la falta de comunicación o de liderazgo, pueden estar detrás de éstos. Por eso, no hablo de un positivismo ingenuo, sino de practicar una auténtica mentalidad deportiva: aprender no es la meta, sino el camino. Igual que en el deporte, implica actuar y también detenerse a reflexionar; observar las situaciones desde distintas perspectivas; felicitarnos cuando logramos el resultado esperado y preguntarnos “¿qué puedo aprender?” cuando no lo alcanzamos. Nadie imaginaría a un deportista de élite o a un equipo de primera división sin entrenador. Entonces, ¿cómo pretendemos jugar en primera línea de la odontología siendo al mismo tiempo los únicos jugadores y entrenadores de nosotros mismos?

Hacia una carrera profesional sostenible y satisfactoria

El coaching es una disciplina basada en acompañar a las personas para que consigan un objetivo. Permite desgranar metas amplias en objetivos pequeños y específicos para recoger pequeñas victorias, respetando nuestros valores. Revisar cuál es nuestra situación, qué nos bloquea y qué queremos alcanzar, ayuda a tomar acción con responsabilidad. Gestionar desafíos de la práctica diaria, mejorar nuestro bienestar y la calidad de las relaciones interpersonales, establecer límites saludables y encontrar un balance entre la vida personal y profesional son algunos ejemplos. Entrenarse de esta forma puede prevenir el agotamiento y otros problemas relacionados con la salud mental. Y lo que marca la diferencia no está solo en lo que hacemos hacia afuera, sino en cómo cultivamos la relación con nosotros mismos. Como odontólogos compartimos retos, miedos y también la ilusión de hacerlo cada día mejor. Mi propuesta, a través del coaching, es acompañarte a revisar tus capacidades, desbloquear inseguridades, reconectar con tu motivación y disfrutar de tu profesión. Ejercer la odontología es mucho más que dominar una técnica o decidir entre alternativas de tratamiento. Es un desafío constante que combina ciencia, precisión y sensibilidad. Supone acompañar al paciente en un proceso que le puede generar incertidumbre o miedo, siendo guía y entrenador de su confianza. Desarrollar una carrera profesional sostenible y llena de propósito está a nuestro alcance. Y nuestra actitud, nuestra presencia y la calidad humana que transmitimos son la materia prima más valiosa que podemos ofrecer. 

MÁS ALLÁ DE LOS DIENTES: LA RESPONSABILIDAD DEL ODONTÓLOGO ANTE LA RESPIRACIÓN ORAL

Partiendo de una perspectiva funcional de la odontología en la que la boca deja de ser un territorio aislado para convertirse en una ventana que condiciona la salud global de nuestro organismo, la Dra. Núria Noguerón Dorca ha escrito un cuento titulado Una mosca en mi barriga que muestra, a través de una metáfora, la importancia de que la boca mejor es cerrada para crecer mejor, estar más fuerte, correr más y tener menos enfermedades, especialmente en el paciente infantil.

u Contacto

Dra. Núria Noguerón Dorca hola@clinicanogueron.com www.clinicanogueron.com

Detectar un hábito de boca abierta puede parecer un detalle menor dentro del día a día de una consulta dental, pero aprender a reconocerlo nos abre la puerta a un ámbito de la odontología todavía poco explorado y esencial para comprender los mecanismos que explican no sólo la aparición de determinadas patologías, sino también la resistencia al tratamiento de una parte de ellas.

La respiración oral, que suele acompañar esta postura de boca abierta, puede coexistir con alteraciones que afectan al equilibrio global del organismo —sistemas respiratorio, cardiovascular, hormonal o postural, entre otros—, ya que cuando se modifica la forma de respirar, todo el cuerpo busca compensar este desequilibrio.

Identificar este mal hábito a tiempo mejora la durabilidad y estabilidad de nuestros tratamientos dentales, y además puede transformar la calidad de vida del paciente y enriquecer nuestra práctica, orientándola hacia un enfoque más integral y humano.

Explorar esta dimensión funcional de la odontología nos invita a mirar más allá de los dientes y las encías, y a reconocer la estrecha relación entre los patrones respiratorios, posturales y musculares y la salud del sistema estomatognático.

Desde esta perspectiva, la boca deja de ser un territorio aislado para convertirse en una ventana que condiciona la salud global de nuestro organismo.

De mirar dientes a mirar personas

Admito haber mirado en exceso los dientes sin detenerme lo suficiente en sus dueños. Y es que (sin ánimo de ofender a mis profesores), la odontología que me enseñaron se centraba casi exclusivamente en ellos: restaurarlos, blanquearlos, reforzarlos, desinfectarlos, embellecerlos, alinearlos..., siempre con precisión y rigor científico. No en vano, esa búsqueda constante de la perfección técnica nos ha llevado a situarnos entre los países con mayor excelencia odontológica del mundo.

Pero con el tiempo me he dado cuenta de que los dientes no viven aislados, sino que forman parte de un sistema vivo y dinámico, donde la respiración y otras funciones orofaciales tienen un papel decisivo. Desde que presto atención a cómo respiran mis pacientes (y desde que trabajo la tendencia a mantener la boca abierta o a respirar por ella), he comprobado que los resultados de mis tratamientos son mucho más predecibles, satisfactorios y estables en el tiempo.

la evolución de la Odontología

Por eso creo que es nuestra responsabilidad dedicar unos minutos en cada visita a valorar cómo respira el paciente, porque en esa simple observación se esconden muchas de las claves de su salud oral.

La cavidad oral y la respiración: dos vecinas inseparables

Sabemos que respirar por la boca no es un gesto inocente, sino que desencadena una verdadera cascada de cambios en el organismo. El primer impacto se produce a nivel local, en la cavidad oral. El paso del aire directamente por la boca reseca las mucosas, reduce el flujo salival y altera su composición, lo que disminuye el pH y genera un entorno más ácido. Esto se traduce en gingivitis persistentes, caries recurrentes, mayor sensibilidad dental, úlceras o pequeñas mordeduras que no cicatrizan bien, y periodontitis difíciles de estabilizar.

Además, esta alteración del medio oral modifica la microbiota, favoreciendo el crecimiento de bacterias patógenas y afectando de forma indirecta la microbiota digestiva.

Pero los efectos de la respiración oral no se limitan a la cavidad bucal; van mucho más allá. La respiración oral altera el funcionamiento del sistema nervioso autónomo (S.N.A.), encargado de regular funciones básicas como la respiración, el pulso, la digestión o el descanso. La falta de filtrado y humidificación del aire reduce la oxigenación y fragmenta el sueño, generando microdespertares, episodios de bruxismo y un estado de alerta constante. Cuando este sistema se ve obligado a compensar una entrada de aire ineficiente, el organismo entero se desajusta y comienzan las adaptaciones: aparecen desajustes musculares, alteraciones en los equilibrios hormonales y una sensación de cansancio persistente, de no haber descansado nunca del todo.

Respiración oral y niños

En los niños, la repercusión es aún mayor. La cavidad oral y la cavidad nasal son vecinas inseparables, y si una se desarrolla de forma deficiente, la otra inevitablemente se ve afectada. Cuando la respiración se realiza por la boca, el crecimiento facial se desvía de su curso natural: el maxilar superior se estrecha, el paladar se eleva y la mandíbula tiende a retraerse.

Surge entonces la conocida facies adenoidea: rostro alargado, sonrisa gingival, ojeras permanentes y musculatura orofacial incompetente. El niño no solo cambia la forma de su rostro; también cambia su manera de deglutir, masticar y respirar.

Y como el S.N.A. está desregulado, su cuerpo funciona como si viviera en un estado de alerta permanente, lo que se manifiesta en falta de concentración, irritabilidad o conductas impulsivas. No es de extrañar: un niño que es respirador oral no descansa bien, porque su sueño está fragmentado y es poco reparador. Esta falta de descanso y la oxigenación deficiente repercuten en el metabolismo, el desarrollo corporal y el equilibrio emocional del niño.

Una historia que respira Después de ver a tantos pequeños con la boca abierta y darles, una y otra vez, el discurso de que la boca mejor es cerrada para crecer mejor, estar más fuerte, correr más y tener menos enfermedades, comprendí que las palabras no siempre bastan. Al final, una imagen o una historia pueden dejar una huella mucho más profunda.

Así nació Una mosca en mi barriga , un cuento que utiliza la curiosa historia de una mosca que, sin quererlo, acaba dentro del cuerpecito de Ari.

Una escena tan sorprendente como simbólica, que se convierte en una metáfora fácil de recordar: cuando la boca está abierta, no solo entran moscas, también entran problemas.

Este cuento se ha convertido en una herramienta educativa, dentro y fuera de la consulta: una forma amable y visual de explicar que respirar bien es, en realidad, vivir mejor.

Para mí, ha sido una experiencia preciosa: escribirlo, ilustrarlo y descubrir cómo los niños lo comprenden con una naturalidad que, a veces, los adultos hemos olvidado.

Hoy, Una mosca en mi barriga también puede incorporarse como recurso educativo en las clínicas, adaptándose con el logo, el nombre o la imagen de cada centro para integrarse en su comunicación con las familias.

Porque, en ocasiones, un cuento llega mucho más lejos que cualquier discurso técnico. Y si logramos que cada pequeño respire correctamente y conserve una sonrisa saludable, estaremos cumpliendo con la esencia de nuestra labor: promover salud en su sentido más completo. 

“ Es nuestra responsabilidad dedicar unos minutos en cada visita a valorar cómo respira el paciente, porque en esa simple observación se esconden muchas de las claves de su salud oral ”
Dra. Núria Noguerón Dorca Odontóloga Miofuncional. Práctica privada en Barcelona. Autora de Una mosca en mi barriga.

LA REVOLUCIÓN EN LA ODONTOLOGÍA

La Odontología se ha transformado en los últimos 25 años. A lo largo de este artículo, se analizan los retos más importantes a los que se enfrenta la profesión en cuanto a formación, ejercicio profesional o investigación, entre otros aspectos. Cambios que el autor propone para orientar el rumbo de la profesión hacia el bien común.

u Contacto

Iñigo Murga Gandasegui imurgaresearchcfs@yahoo.com

Iñigo Murga Gandasegui Médico Odontólogo.

MD: Neurociencias, Investigación Biomédica, Investigación en Psicología. Doctor en Neurociencias con Premio Extraordinario. Grupo LaNCE-Neuropharm (UPV-EHU).

Hoy me he despertado y he revisado los objetivos que se tenían para nuestra Odontología a comienzos del siglo XXI y tras 25 años ninguno se ha cumplido. La verdadera revolución no vendrá del zirconio, ni de los implantes, ni de las sonrisas blanqueadas, ni del amiguismo colegial, sino del orden moral de personas rectoras de nuestro colectivo que observen que de esta manera no se puede continuar, y que el “edificio”, en sentido amplio, necesita urgentes reformas o ya maltrecho en la actualidad colapsará finalmente. Los grandes retos a realizar son los siguientes:

1. Formativos

Es absolutamente necesario pasar de cinco a seis años académicos en el grado en odontología (360 ECTS). La evolución técnica, la incorporación de nuevas asignaturas: bioética, estética dental, gerontología, etc., junto a un programa de investigación y mayor espacio para el estudio de la patología médica general, se hacen necesarios. Asimismo, un número mínimo de tratamientos a realizar por el alumno sin los cuales no puede graduarse.

También considero imprescindible una ley de especialidades odontológicas, cursando una residencia reglada dentro de nuestro sistema sanitario. Ya expuse, en diciembre de 2023 (en esta misma revista), las especialidades a realizar: Cirugía Oral y Maxilofacial General (6 años), Radiodiagnóstico de Cabeza y Cuello (4 años), Anatomía Patológica de Cabeza y Cuello (4 años), Odontología Preventiva y Comunitaria (4 años), Odontología Legal y Forense (4 años), Ortodoncia y Ortopedia Dento-Facial (3 años).

Por otro lado, la formación continuada debe ser obligatoria, de tal forma que en un periodo de 10 años el

profesional tenga que acreditar créditos formativos avalados por la ANECA, a riesgo de quitársele su licencia de no cumplirlos.

2. Igualdad de oportunidades

La existencia de una normativa muy clara que regule el número de plazas en las universidades privadas. Nuestros odontólogos en las universidades públicas están estrechamente muy limitados y, en cambio, las universidades privadas son un verdadero coladero indecente de matriculaciones y auténtico negocio. Ésta es una de las claves del daño a la Odontología durante las últimas décadas.

3. Ejercicio profesional

En cuanto a la homologación de la titulación a personas no comunitarias, debe establecerse un cupo anual de 10 mediante un examen teórico y centralizar la formación práctica posterior de un año en una universidad pública de prestigio.

La existencia de una ley orgánica que regule la actividad profesional, similar a los farmacéuticos, es un elemento clave. ¡No se puede seguir así! Hay tantos consultorios como tabernas en el país. Los sobretratamientos, la publicidad sanitaria falsaria o la realización de procedimientos complejos sin una cualificación óptima están a la orden del día, poniendo en riesgo la salud de la ciudadanía.

4. Intrusismo

El intrusismo debe perseguirse con intensidad, de tal manera que el ciudadano pueda acceder a una base de datos autonómica y consulte el currículum del profesional.

5. Investigación

La creación de centros de investigación y la potenciación del Doctorado en Odontología debe ser otro aspecto de urgente actuación.

Espero vivir para ver los auténticos cambios de la Odontología en nuestro país. De héroes con una ética que orienten el rumbo hacia el bien común. 

eventos y congresos

La odontología restauradora interdisciplinar y digitalizada reúne a más de 2.500 profesionales en el 54º Congreso Anual de SEPES

SEPES BILBAO 2025, UN CONGRESO CON VISIÓN DE FUTURO

El 54º Congreso Nacional de SEPES ha cumplido su propósito, dando respuesta a los desafíos presentes y futuros de la Odontología interdisciplinar, convirtiéndose en un congreso con visión de futuro. Así, más de 2.500 profesionales tuvieron la oportunidad de conocer lo último de la odontología restauradora interdisciplinar y digitalizada en SEPES Bilbao 2025.

El 54º Congreso Nacional de SEPES (SEPES Bilbao 2025), celebrado entre los días 9 y 11 de octubre en Bilbao, ha sido un congreso con visión de futuro. Los doctores Jaime Gil Lozano y Alfonso Gil López-Areal, presidentes del comité organizador y del comité científico, respectivamente, pensaron y diseñaron durante dos años un programa que ha logrado dar respuesta a los desafíos presentes y futuros de la Odontología interdisciplinar.

Más de 2.500 profesionales (entre los que destacó la presencia de 220 higienistas) se reunieron en SEPES Bilbao 2025 para conocer la mejor odontología restauradora interdisciplinar y digitalizada a través de 96 sesiones entre ponencias y talleres, 170 comunicaciones, 75 espacios comerciales con las compañías más avanzadas del sector y más de 32.000 € en premios y becas concedidos en el congreso. Desde la Junta Directiva de SEPES y los comités organizador y científico del congreso se sienten “muy satisfechos y orgullosos” y estas cifras les animan “a seguir trabajando día a día para que el congreso anual de SEPES sea el referente que es en odontología interdisciplinar”. La relevancia que como persona, catedrático y odontólogo tiene la figura del Dr. Jaime Gil en su ciudad, quedó patente el primer día con la presencia en el acto inaugural del Alcalde Juan Mari Aburto y de la Directora General de Osakidetza (Servicio Vasco de Salud), Lorea Bilbao.

El desafío interdisciplinar

Bajo el lema “El desafío interdisciplinar”, el programa se centró en cómo integrar eficazmente, bajo la figura del director clínico, las distintas especialidades que intervienen en los tratamientos restauradores complejos con el objetivo de mejorar la planificación, la eficiencia clínica y la experiencia del paciente. En palabras del Dr. Guillermo Pradíes, presidente de SEPES, “cada vez es más difícil hacer compartimentos totalmente aislados en la odontología”.

El programa se estructuró en una serie de bloques temáticos que combinaron la prótesis y la estética con las fases periodontal, ortodóncica, quirúrgica y endo de los tratamientos. Subyacente en todos los bloques estuvo el abordaje interdisciplinar y la digitalización de los procesos de diagnóstico, planificación y ejecución de los tratamientos, así como en el proceso de transmisión de la información al laboratorio, o la comunicación clínico-paciente. Al hilo de esto último, el Dr. Alfonso Gil, artífice del programa científico, indicó en rueda de prensa que “actualmente, la

IA ya ayuda a nivel diagnóstico y está empoderando al paciente, que puede detectar recesiones, pérdidas óseas o desgastes dentarios desde su propio dispositivo”.

SEPES Bilbao ha sido una oportunidad única para observar cómo se articula el modelo de clínica dental del futuro, con una visión macro de los tratamientos y un enfoque coordinado entre profesionales. La robótica e IA más avanzada aplicada a la odontología clínica no es cosa del futuro, actualmente ya se está aplicando y en este congreso se ha podido ver en una gran parte de las más de 120 sesiones que han conformado el programa.

Entre las sesiones más destacadas del congreso estuvo el curso de jornada completa “Implants: The surgical / Restorative Connection”, impartido por los reconocidos clínicos norteamericanos Gregg Kinzer y Jim Janakievski, una sesión magistral sobre la relevancia de la colaboración interdisciplinar y la optimización de los resultados en los tratamientos rehabilitadores complejos.

Como es obligado en los congresos y cursos de SEPES, hubo tiempo para el debate, la controversia y el intercambio de experiencias y conocimientos, todo ello con una clara vocación de aprendizaje. En esta línea, se desarrolló otra de las sesiones estrella del congreso, la Batalla de Conceptos-Desafíos Clínicos: Europa VS. América, en la que se confrontaron dos maneras de enfocar la odontología rehabilitadora: por un lado, la visión americana, más intervencionista; y por otro, la europea, más conservadora. El resultado, en palabras del moderador de esta sesión, el Dr. Alfonso Gil: “Se puede llegar al mismo resultado por caminos completamente diferentes”.

El aspecto empresarial de la clínica dental se trató ampliamente en este congreso de SEPES que, por primera vez, incluía una Jornada completa, junto a ESADE, de 8 horas para abordar aspectos como el liderazgo, el cierre de ventas, la rentabilidad del tiempo y la captación y fidelización de clientes.

De nuevo, SEPES ha querido dar voz a clínicos, Ceos y estudiantes que actualmente son comunicadores con gran repercusión en el entorno de las redes sociales, especialmente en TikTok e Instagram. Tras la primera edición de 2024, SEPES Bilbao ha incluido nuevamente y con gran éxito la sesión TIKTok & Reels Time enfocada a mostrar cómo las redes sociales pueden ser grandes aliadas para crear una imagen de marca personal y educar en la importancia de la prevención para gozar de una buena salud oral. “La odontología está cambiando, y también la forma en la que se comunica”, señaló Guillermo Pradíes, director de esta iniciativa. “Hemos implicado a la industria y a influencers del ámbito odontológico, y creemos que es una herramienta muy eficaz para conectar con los profesionales más jóvenes”, subrayó.

SEPES Bilbao contó con la confianza de la industria más puntera del sector dental. Un total de 75 stands llenaron una amplia zona expositiva donde presentaron los últimos avances en digitalización, implantes, biomateriales, materiales restauradores, profilaxis e higiene, instrumentación, material fotográfico, comunicación, etc.

Aprovechando la presencia de la industria en el congreso, el presidente de SEPES dio a conocer a las empresas presentes el programa preliminar del congreso de 2026 que se celebrará en Málaga, bajo la presidencia del Dr. Eduardo Crooke. 

eventos y congresos

MÁS DE 450 PROFESIONALES PARTICIPAN EN SEI TOLEDO 2025

La

Sociedad Española de Implantes (SEI) celebró los días 25, 26 y 27 de septiembre en Toledo la XXXV edición nacional y XXVIII internacional de su congreso anual, un evento que contó con la presencia de más de 450 asistentes y tuvo el apoyo de 35 empresas del sector dental, generando un clima de especial atractivo, poniendo así, de manifiesto, el interés que la SEI despierta en la comunidad odontológica, que sigue marcando el rumbo en cuanto a Implantología se refiere.

La ciudad de Toledo acogió este evento de una manera especial, contando con numerosas autoridades municipales, autonómicas y nacionales, entre ellos, el alcalde de Toledo Excmo. Sr. D. Carlos Velázquez Romo, la presidenta de la Diputación de Toledo, Ilma. Sra. Dª. María Concepción Cedillo Tardío, el vicepresidente del Consejo general de dentistas de España, el Dr. Francisco José García Lorente y el presidente de la Junta provincial de odontólogos y estomatólogos de Toledo, Sr. D. Prometeo Aguirrebeña Olmos, entre otras autoridades. La ciudad de Toledo se ha convertido, gracias a este congreso, en el epicentro de la Implantología, que ha contado con un programa científico tremendamente ambicioso, centrado en dar respuesta a

las necesidades diarias de todos aquellos profesionales de la Odontología que utilizan implantes dentales para tratar a sus pacientes. El Dr. Bruno Ruiz Gómez, presidente del comité organizador, resalta la importancia del objetivo de la SEI: dotar a los clínicos de herramientas reales y cotidianas, al alcance de todos los niveles asistenciales y de rabiosa actualidad en el campo de la Implantología, siempre bajo un enfoque global e integrador que permite tener una visión muy amplia de las posibilidades que nos ofrecen las diferentes ramas conceptuales que la componen. Este hecho, resalta el Dr. Bruno Ruiz Gómez de nuevo, es un elemento diferenciador de la SEI pues lo lleva en su genética desde sus inicios como sociedad científica hace ya más de 60 años. Para resumir el programa científico, se profundizó en las cuatro líneas conceptuales de la Implantología actual: 1) Implantología con implantes de dos cuerpos; 2) Implantología monobloque; 3) Implantología cigomática; y 4) Implantología de reciente actualidad basada en implantes subperiósticos de nueva generación. Todo ello, sin dejar de lado los protocolos digitales en planificación quirúrgica y restauración protésica.  

ÉXITO DEL XXX CONGRESO NACIONAL DE LA SESPO EN MADRID

Losdías 17 y 18 de octubre, la Facultad de Odontología de la Universidad Complutense de Madrid (UCM) acogió con éxito el XXX Congreso Nacional de SESPO, bajo el lema “La prevención lidera la Odontología”. El encuentro reunió a profesionales de la salud bucodental, investigadores y gestores de salud pública para debatir los retos emergentes en epidemiología y salud pública oral. Durante el congreso se abordaron temas clave como la función del microbioma oral en enfermedades sistémicas, la epigenética aplicada a la patología bucodental, el papel de la saliva como biomarcador y la irrupción de la inteligencia artificial en el diagnóstico temprano.

Además, el programa incluyó talleres interactivos, presentación de comunicaciones científicas y espacios de networking entre clínicos, investigadores y responsables de salud. Entre los objetivos centrales del evento destacaron: reforzar la importancia de la prevención en la atención bucodental y la salud pública; impulsar la colaboración interdisciplinar entre odontología, medicina y atención primaria; y difundir buenas prácticas, datos epidemiológicos y líneas de investigación que permitan anticipar y gestionar mejor las enfermedades orales.

El comité organizador expresa su satisfacción por la alta participación y la calidad de las aportaciones, y anuncia que ya se trabaja en las conclusiones que se harán públicas próximamente. 

ZARAGOZA, CAPITAL DE LA ORTODONCIA DIGITAL CON EL IV CONGRESO DE ALINEADORES Y NUEVAS TECNOLOGÍAS DE LA SEDO

El Palacio de Congresos de Zaragoza acogió los días 19 y 20 de septiembre de 2025 el IV Congreso de Alineadores y Nuevas Tecnologías de la Sociedad Española de Ortodoncia (SEdO), una cita que reunió a alrededor de un millar de profesionales del ámbito odontológico procedentes de toda España y de otros países europeos. Bajo la coordinación del Dr. Manuel Román, el encuentro se consolida como uno de los foros de referencia en el ámbito de la ortodoncia con alineadores. El programa científico abordó los últimos avances en avance mandibular, expansión con alineadores, planificación digital y nuevas tecnologías aplicadas al tratamiento ortodóncico.

Durante dos intensas jornadas, los asistentes pudieron asistir a ponencias, talleres prácticos y mesas de debate en las que se discutieron tanto los retos clínicos como las innovaciones tecnológicas que están transformando la práctica diaria de la ortodoncia. La cita contó con la participación de destacados ponentes nacionales e internacionales, así como con el respaldo de las principales marcas del sector. El congreso, que cada año incrementa su número de inscritos, ha puesto de relieve el papel protagonista que desempeña la SEdO en la formación continua y la actualización científica de los profesionales de la ortodoncia. 

SEDO Y ALADO REFUERZAN SU ALIANZA EN EL IOC 2025 DE RÍO DE JANEIRO

En el marco del International Orthodontic Congress (IOC 2025), celebrado en Río de Janeiro, la Sociedad Española de Ortodoncia y Ortopedia Dentofacial (SEdO) y la Asociación Latinoamericana de Ortodoncia (ALADO) han renovado su acuerdo de colaboración. El convenio busca potenciar el intercambio científico y docente entre España y Latinoamérica mediante beneficios cruzados en congresos, cursos y actividades formativas. Además, contempla el impulso del networking internacional, la difusión compartida de contenidos y casos clínicos, y la proyección de la revista Ortodoncia Española en todo el ámbito hispanohablante. Este acuerdo consolida los lazos entre ambas organizaciones y refuerza la apuesta común por una ortodoncia más conectada, colaborativa y global. 

EL COEM RECIBE EL SELLO DE CALIDAD MADRID EXCELENTE

Lapresidenta del Colegio de Odontólogos y Estomatólogos de la I Región (COEM), Dra. Marisol Ucha, ha recibido de manos de Elena Mantilla, directora general de Madrid Excelente, el sello de calidad que entrega la Comunidad de Madrid al COEM en reconocimiento a la excelencia en la gestión, el compromiso social y la mejora continua de esta institución.

La presidenta del COEM ha destacado que “recibir el sello Madrid Excelente es un reconocimiento que nos llena de orgullo y, al mismo tiempo, nos impulsa a seguir trabajando con la misma dedicación y compromiso que caracteriza al Colegio Oficial de Odontólogos y Estomatólogos de la I Región. Este distintivo avala nuestra labor en materia de calidad, transparencia y servicio a la sociedad, y refleja el esfuerzo de todo el equipo del COEM por ofrecer una gestión moderna, responsable y centrada en las personas. Quiero agradecer a la Comunidad de Madrid y a Madrid Excelente por este reconocimiento, que supone una motivación adicional para continuar mejorando cada día y seguir siendo un referente de excelencia en el ámbito profesional y sanitario. Este sello no solo pertenece al COEM como institución, sino a todos los colegiados y colegiadas que con su trabajo diario contribuyen a fortalecer la odontología madrileña y a mejorar la salud bucodental de nuestros pacientes”. Por su parte, en su intervención la directora general de Madrid Excelente ha subrayado que “el COEM es un ejemplo de cómo una institución profesional puede combinar la calidad asistencial, la formación continua y la responsabilidad social. Su trabajo contribuye directamente a mejorar la salud y el bienestar de los madrileños”. 

LA ODONTOLOGÍA ESPAÑOLA REAFIRMA SU PRESENCIA

DESTACADA EN

LA NUEVA EDICIÓN DEL RANKING DE EXCELENCIA CIENTÍFICA DE STANFORD

La Odontología española ha vuelto a ser reconocida internacionalmente por su excelencia científica con la inclusión de 21 investigadores en la lista de los científicos más relevantes del mundo en la nueva edición del ranking de la Universidad de Stanford (Ranking of the World Scientists: World´s Top 2% Scientists), 4 más que la edición pasada. Particularmente, en el área de Odontología identifica a 1.971 investigadores en el mundo, y en esa lista incluye a 21 investigadores españoles (ver Tabla 1), cuatro más que en la edición previa del ranking. Como en todas las ediciones anteriores del ranking, el primero de esa lista continúa siendo el Dr. Eduardo Anitua, director del University Institute for Regenerative Medicine and Oral Implantology (UIRMI), que además ocupa un lugar muy destacado en el ranking global de Odontología, en la posición número 48 a nivel mundial, mejorando un puesto su posición internacional. Le sigue el Dr. Mariano Sanz, de la Universidad Complutense de Madrid, situado en el ranking mundial en la posición 84.

En el listado también encontramos a los doctores David Herrera, Miguel Ángel González-Moles, Pía López-Jornet y José Bagán, entre otros. 

UN

ESTUDIO

PIONERO,

CON CÉLULAS

MADRE, ABRE NUEVAS ESPERANZAS EN LA COLOCACIÓN DE IMPLANTES DENTALES

Distintos grupos de investigación en todo el mundo están buscando alternativas biológicas que traten de estimular y mejorar la capacidad regenerativa de los biomateriales que se emplean actualmente para hacer frente a los defectos óseos en los maxilares que impiden o dificultan la colocación de implantes y, por tanto, la rehabilitación de los dientes perdidos. Recientemente se han publicado en Clinical Oral Implants Research los resultados alcanzados en un ensayo financiado por la Unión Europea, a través del programa EU Horizon 2020, el cual cuenta con la participación de dos centros españoles (la Universidad Complutense de Madrid -UCM- y la Universitat Internacional de Catalunya –UiC-), junto con centros en Francia, Alemania, Dinamarca y Noruega. En concreto, por primera vez, se ha documentado en pacientes el beneficio derivado de una terapia pionera basada en células madre implantadas en un sustituto óseo sintético.

El catedrático Mariano Sanz, catedrático de la Universidad Complutense de Madrid y patrono de Honor de SEPA, es el primer firmante de este artículo.

Se trata de un ensayo clínico aleatorizado y controlado de fase 2, en el que se ha evaluado la seguridad y eficacia de una terapia celular

con células mesenquimales autólogas expandidas derivadas de la cresta ilíaca, sembradas en un sustituto óseo sintético bioabsorbible recubierto con una membrana no reabsorbible.

El catedrático Mariano Sanz, catedrático de la Universidad Complutense de Madrid y patrono de Honor de SEPA, es el primer firmante de este artículo, siendo uno de los referentes mundiales en este ámbito. “Nuestro grupo lleva años investigando, tanto en el laboratorio como en animales, el potencial de esta terapéutica; por lo tanto, es consecuencia lógica que cuando ha surgido la oportunidad de utilizar esta alternativa en pacientes, hayamos sido pioneros”, explica este experto que forma parte del Grupo de Investigación en Etiología y Terapia de las Enfermedades Periodontales y Periimplantarias (ETEP) de la Facultad de Odontología de la UCM. La importancia de este nuevo abordaje evaluado radica en la necesidad de encontrar nuevas soluciones para rehabilitar los dientes perdidos de estos pacientes que, en algunos casos por la existencia de un importante defecto en el hueso, plantean muchas limitaciones en la colocación de implantes dentales. 

Tabla 1. Lista de Científicos Top Españoles en Odontología (septiembre 2025).
SEPA

MAEX CUEVAS-QUEIPO LIDERA LA PRIMERA FORMACIÓN SOBRE IMPLANTES SUBPERIÓSTICOS PARA LOS PROFESIONALES DEL SELLO

El pasado 17 de octubre se celebró en la clínica MAEX Cuevas Queipo de Málaga —clínica del sello líder en excelencia dental de DONTE GROUP— la primera formación sobre implantes subperiósticos, impartida por el Dr. José Montes, cirujano oral y maxilofacial de la clínica, con el apoyo del Dr. Francisco Tudela y del Dr. Alberto Cuevas, director médico. La sesión, dirigida a profesionales de los distin-

tos centros del grupo y organizada junto con Custom Implants y el laboratorio Phibo Group, presentó un nuevo enfoque de los implantes subperiósticos, combinando teoría y práctica.

De hecho, como parte de la formación, el Dr. Montes mostró un caso clínico practicado mediante una cirugía retransmitida en directo por streaming, utilizando un sistema de cámaras con control remoto y lentes de última generación instalado en un gabinete especialmente adaptado a esta tecnología de alta precisión. Los asistentes pudieron seguir la intervención en tiempo real desde la sala de formación de la clínica y observar de cerca las particularidades del manejo de los implantes subperiósticos.

Aunque este curso fue impartido por el Dr. José Montes para las clínicas MAEX, el próximo 28 de noviembre el especialista ofrecerá un taller presencial sobre “Las mallas subperiósticas con un enfoque diferente al que conoce: experiencia sobre más de 100ms con alta versatilidad clínica” en el marco del Congreso de la Sociedad Española de Periodoncia y Osteointegración (SEPA), que se celebrará este año del 26 al 29 de noviembre en Barcelona. 

MOONZ Y LA SEORL-CCC PRESENTAN UNA GUÍA PARA PADRES PARA IMPULSAR LA DETECCIÓN PRECOZ DE AFECCIONES

OTORRINOLARINGOLÓGICAS Y DENTALES EN LA INFANCIA

Las infecciones de oído, nariz y garganta son las afecciones más frecuentes en la infancia. Su impacto va más allá del sistema respiratorio, hablamos de patologías que también afectan a la salud bucodental; y a la inversa, pueden empeorar por una mala salud bucodental. Por este motivo, Moonz, la marca especializada en ortodoncia para la familia y odontopediatría de DONTE GROUP, junto con la Sociedad Española de Otorrinolaringología y Cirugía de Cabeza y Cuello (SEORL-CCC), presentan la ‘Guía para padres sobre la vinculación entre enfermedades otorrinolaringológicas (ORL) y la ortodoncia pediátrica’, con el objetivo de facilitar la comprensión y fomentar el diagnóstico precoz de las mismas.

Los Servicios de Otorrinolaringología y Odontología, aunque sean diferentes, están íntimamente relacionadas. Durante las primeras etapas de la vida, el desarrollo del maxilar y la mandíbula avanza al mismo tiempo que el crecimiento dental. Estas estructuras óseas se van adaptando para dar espacio a los dientes permanentes y su desarrollo puede verse condicionado por factores como la genética o determinados hábitos orales, como el uso prolongado del chupete.

“Acudir al ortodoncista durante la infancia y adolescencia es fundamental para la detección precoz de desajustes en el crecimiento

óseo y, consecuentemente, para la implementación temprana de tratamientos adecuados, pudiendo evitar complicaciones de crecimiento, aprendizaje y calidad de vida en la edad adulta”, señala el Dr. Javier Girón de Velasco, director general de Moonz.

Este manual, dirigido a padres y madres, ha sido desarrollado en un formato de preguntas y respuestas para describir de manera clara cómo diferentes aspectos comunes entre la población infantil -respiración oral, otitis recurrentes, apnea del sueño o sinusitis- pueden estar asociados a alteraciones del desarrollo maxilofacial y de la alineación dental, o viceversa. 

EL DR. FRANCISCO MARTÍNEZ RUS RECIBE LA MEDALLA DE

ORO DE SEPES

El Dr. Francisco Martínez Rus ha sido reconocido con la Medalla de Oro de SEPES, la más alta distinción concedida por la Sociedad Española de Prótesis Estomatológica y Estética, en reconocimiento a su alto compromiso, profesionalidad e implicación en la sociedad desde su incorporación como asociado en 2003.

Esta distinción reconoce, sobre todo, su trabajo desempeñado como director de la Revista Internacional de Prótesis Estomatológica, publicación oficial de SEPES. Durante cinco años, de 2018 a 2023, lideró el proceso de transformación editorial y estética que culminó situando a la revista en el lugar de referencia que ocupa hoy en el área de la prótesis y la estética dental. A este aspecto se une el de su intensa y reconocida labor como docente e investigador en el campo de la prótesis estomatológica.

Francisco Martínez Rus es profesor de Prótesis en el Grado de Odontología y del Máster de Rehabilitación Oral basada en las Nuevas Tecnologías, de la UCM, y también es Vicedecano de Ordenación Académica de Grado de la Facultad de Odontología de la UCM. 

FENIN RECONOCE CINCO INICIATIVAS EJEMPLARES POR SU CONTRIBUCIÓN

A LA SOSTENIBILIDAD, LA INNOVACIÓN Y LA INCLUSIÓN EN EL SECTOR DE TECNOLOGÍA SANITARIA

La

Federación Española de Empresas de Tecnología Sanitaria (Fenin) ha hecho entrega recientemente de sus Premios Voluntades de RSE 2025, una iniciativa que reconoce la labor de las empresas de Tecnología Sanitaria y de organizaciones sociosanitarias en el ámbito de la responsabilidad social corporativa y distingue proyectos ejemplares por su contribución a una sanidad más humana, sostenible e innovadora.

La ceremonia se ha celebrado en Barcelona, en el marco del Encuentro Anual del Sector de Tecnología Sanitaria, y ha puesto de relieve el compromiso del sector con la mejora de la salud, el bienestar y la cohesión social.

Los Premios Voluntades, que a lo largo de sus 14 ediciones han reconocido más de 80 iniciativas de responsabilidad social, son, según Pablo Crespo, secretario general de Fenin, una muestra del compromiso real del sector con la sociedad. “La tecnología sanitaria no solo aporta soluciones asistenciales, sino que también impulsa cambios

sociales positivos. Estos galardones visibilizan la contribución de las empresas y organizaciones del sector a la construcción de un sistema sanitario más humano, accesible y respetuoso con el entorno”, ha subrayado.

Las iniciativas premiadas han sido:

 PREMIO VOLUNTADES EN AVANCES LABORALES, DIVERSIDAD E INCLUSIÓN a Sandoz Iberia, por la iniciativa “Salud más fácil”.

 PREMIO VOLUNTADES EN SOSTENIBILIDAD a B.Braun, por su proyecto “La huella verde de la hemodiálisis”.

 PREMIO VOLUNTADES EN INNOVACIÓN a Siemens Healthineers y Medtronic, por la estrategia conjunta “One Step Ictus”.

 PREMIO VOLUNTADES PYMES a Promega Biotech Ibérica, por el programa “Rising Researchers Award”.

 PREMIO VOLUNTADES INSTITUCIÓN SOCIOSANITARIA a Cruz Roja por su compromiso con las personas y su capacidad para dar respuesta, cada día, a los grandes retos sociales y humanitarios. 

EXPODENTAL 2026 ALCANZA EL 93% DE OCUPACIÓN DE SU SUPERFICIE TOTAL

IFEMA MADRID y la Federación Española de Empresas de Tecnología Sanitaria (Fenin) continúan ultimando los preparativos de Expodental 2026, Salón Internacional de Equipos, Productos y Servicios Dentales, que se celebrará del 11 al 13 de marzo en los pabellones 4, 6 y 8 del Recinto Ferial.

A falta de seis meses para que arranque su celebración, la feria registra un 93% de ocupación de su superficie total, lo que confirma el interés y la confianza del sector en esta edición. Bajo el lema “El camino a la innovación odontológica”, Expodental 2026 refuerza su carácter profesional y mantiene su compromiso con la formación y la innovación. El Área de Formación y Gestión ha experimentado un crecimiento, con una excelente acogida por parte de universidades, centros de formación, colegios profesionales y empresas dedicadas a la gestión de las clínicas. Esta zona incluirá actividades especiales, charlas y el Speakers’ Corner, generando un espacio dinámico de aprendizaje y networking.

En esta línea, de cara a la próxima edición, desde Expodental se buscará atraer a los profesionales jóvenes del sector, con iniciativas di-

señadas para potenciar su participación, interacción y networking, consolidando a este Salón como el evento de referencia para toda la comunidad odontológica.

Junto a la exposición comercial, la plataforma digital Expodental LiveConnect facilitará la interacción entre expositores y visitantes, potenciando oportunidades de networking y acceso a contenidos exclusivos. La feria reafirma así su posición como un espacio clave de innovación, formación y encuentro profesional para el sector dental a nivel nacional e internacional. 

NACE EXPOMEDES, NUEVA FERIA PROFESIONAL DE TECNOLOGÍA E INNOVACIÓN EN MEDICINA ESTÉTICA

Lamedicina estética en España ha experimentado un crecimiento sostenido en los últimos años. Según el informe ‘Percepción y uso de la Medicina Estética en España’ de la Sociedad Española de Medicina Estética (SEME), más del 46% de la población se ha realizado un tratamiento de medicina estética, alcanzando el sector una facturación de más de 4.000 millones de euros. Estas cifras reflejan una tendencia positiva que se espera continúe, con proyecciones de crecimiento anual del 7% hasta 2029, lo que subraya la necesidad de crear espacios especializados y profesionales que fomenten la innovación e impulsen el mercado. En este contexto, nace EXPOMEDES, organizada por IFEMA MADRID y promovida por la Federación Española de Empresas de Tecnología Sanitaria (Fenin), que celebrará su primera edición del 11 al 13 de marzo de 2026 en el pabellón 5 de IFEMA MADRID coincidiendo con Expodental y con periodicidad bienal. Un nuevo formato ferial concebido para facilitar el encuentro comercial B2B entre fabricantes, distribuidores y proveedores de tecnología y equipamiento médi-

co-estético con los distintos representantes del sector de la medicina estética y que ha sido presentado ante los medios esta mañana en IFEMA MADRID.

Se espera que la simultaneidad de celebración entre EXPOMEDES y Expodental, a la que acuden cerca de 30.000 profesionales, maximice el valor para expositores y visitantes, creando un ecosistema ferial altamente especializado que tenga un impacto positivo en afluencia, visibilidad y oportunidades de negocio.

Con el impulso de Fenin, EXPOMEDES mostrará las últimas tendencias e innovaciones en productos médico-estéticos como biomateriales o implantes de relleno y para la modificación de la anatomía; en equipamiento como equipos para reducir o retirar tejido adiposo, radiación electromagnética, ultrasonidos, etc.; en tecnología y software especializado para el diagnóstico digital, la impresión 3D, la planificación estética ultrapersonalizada o proveedores de IA; en servicios asociados como software para la gestión de clínicas; y en formación. 

Vhf presenta E4, su fresadora húmeda de cuatro ejes para bloques

La E4 de la vhf EASE CLASS es una fresadora húmeda de cuatro ejes para bloques. Una solución que, según indican desde la empresa, permite a cualquier odontólogo iniciarse de forma sencilla y económica en la producción en la consulta de prótesis dentales de alta calidad, de forma muy sencilla y en una sola sesión.

“La E4 es un verdadero todoterreno en cualquier consulta”, aseguran desde vhf, ya que viene equipada de serie para el fresado en húmedo de bloques de cerámica vítrea o composites cerámicos. Opcionalmente, también se pueden fresar en seco materiales como circonio, PMMA y otros composites.

La libertad de combinar todo

La E4 ofrece la máxima libertad. Se puede combinar con el escáner intraoral preferido, cualquier software CAD y los materiales adecuados para el caso del paciente. La E4 fabrica prótesis dentales a medida que se pueden colocar sin necesidad de un laborioso trabajo de acabado en la misma sesión de tratamiento en la que se realizó el escaneo intraoral.

La fiabilidad se une a la precisión

Desarrollada y fabricada íntegramente en Alemania, “la E4 convence por sus excelentes resultados y su gran fiabilidad. A pesar de su diseño compacto, en su interior solo se encuentran componentes de calidad industrial”, destacan desde vhf. Gracias a su reducido peso de solo 28 Kg y a la ausencia total de aire comprimido, la E4 ha sido galardonada, entre otros, con el German Innovation Award en oro, y ofrece la máxima flexibilidad a la hora de colocarla. De este modo, se puede instalar fácilmente en cualquier lugar. Fiel al lema: desembalar, encender y empezar a fresar.

vhf

www.vhf.com

Young Innovations celebra 125 años ofreciendo soluciones dentales innovadoras

Este año, Young Innovations celebra 125 años ofreciendo soluciones dentales innovadoras en todo el mundo, combinando precisión, fiabilidad y eficiencia. En Young Innovations “no solo ofrecemos soluciones dentales, sino que impulsamos a los profesionales. La eficiencia, la precisión y la satisfacción del paciente están en el centro de todo lo que hacemos”, aseguran.

Microbrush, un nombre de confianza

Su marca insignia, Microbrush, es sinónimo de precisión, calidad y fiabilidad. Muy valorados por los profesionales dentales en todo el mundo, los aplicadores Microbrush simplifican los procedimientos diarios, reducen el desperdicio y garantizan resultados consistentes y de alta calidad. Cada detalle está pensado para mejorar la eficiencia y la atención al paciente.

Desde instrumentos manuales de precisión e instrumentos quirúrgicos hasta herramientas especializadas, sus productos están diseñados para optimizar el flujo de trabajo, mejorar la ergonomía y ayudar a las clínicas dentales a ofrecer excelencia cada día.

Promoción de otoño

Durante los meses de octubre y noviembre, la compañía lanza una promoción especial que te permitirá acceder a sus productos premium a precios exclusivos. Puedes encontrar todos los detalles en su página web: www.ydnt.de/en

Para más información o asistencia personalizada, no dudes en ponerte en contacto con su Responsable Regional: Alessandro Ambretti aambretti@younginnovations.com +39 329 6525896

Young Innovations Europe GmbH www.ydnt.de/en

Salugraft lanza el nuevo sistema de fijación de chinchetas McBio

Salugraft anuncia el lanzamiento del Kit de chinchetas McBio SuperTack, diseñado para la colocación y fijación manual de chinchetas McBio. El set incluye: una bandeja G-Special esterilizable, un organizador de chinchetas, un mango con punta aplicadora regular y otra punta aplicadora angulada que ofrece más precisión.

Todas las chinchetas McBio cuentan con una superficie anodizada. Las azules (Tack) se recomiendan para uso general o hueso duro, mientras que las doradas (Tack EXS) están indicadas para hueso muy duro o en condiciones críticas de inserción. Se presentan en tres medidas: 3 mm para membranas de colágeno y PTFE, las de 5 mm para láminas corticales y las de 7 mm para injertos de tejidos blandos.

Más información: https://salugraftdental.com/productos/mcbio-fijadorchinchetas-manual/

Salugraft Dental www.salugraftdental.com

ICE Plus, la nueva zirconia de Zirkonzahn para estructuras primarias con alta resistencia a la flexión

Con la zirconia ICE Plus, Zirkonzahn introduce un nuevo material desarrollado específicamente para la producción de estructuras primarias sin metal y con alta resistencia a la flexión. Ideal para construcciones reducidas, se caracteriza por una resistencia a la flexión excepcional, de aproximadamente 1.650 MPa (sin tratamiento HIP*) o hasta 1.900 MPa (con tratamiento HIP). ICE Plus ofrece así mayor seguridad, incluso en restauraciones complejas y sometidas a elevadas cargas, como puentes de gran tamaño o rehabilitaciones soportadas por implantes.

“Su extraordinaria resistencia mecánica garantiza la máxima estabilidad estructural, permitiendo al mismo tiempo un diseño elegante y refinado”, resaltan desde Zirkonzahn.

ICE Plus destaca por su versatilidad, además de por su estabilidad: mediante el Fusion Powder, es posible unir una estructura secundaria de zirconia directamente a la estructura primaria en ICE Plus, una solución avanzada para restauraciones híbridas totalmente cerámicas, sin metal y de excelente estética.

*En el proceso HIP (Hot Isostatic Pressing), la zirconia se somete después del sinterizado a alta presión y temperatura. De este modo se cierran los poros microscópicos y se incrementan notablemente la resistencia a la flexión y la estabilidad a largo plazo.

Zirkonzahn www.zirkonzahn.com

SprintRay Retainer redefine la ortodoncia digital con la impresión de retenedores transparentes en 3D

Olvídate del termoformado. Con SprintRay Retainer, ahora puedes imprimir retenedores transparentes directamente en 3D, sin necesidad de modelos ni procesos intermedios.

Desarrollado por el SprintRay Biomaterial Innovation Lab, este innovador material permite ofrecer retenedores transparentes, precisos y biocompatibles en una sola cita. Gracias a la tecnología de la impresora SprintRay Pro2 y al diseño automático mediante inteligencia artificial, todo el flujo digital —desde el escaneado intraoral hasta la impresión final— se completa en cuestión de minutos. Más rapidez, más control y una experiencia óptima tanto para el profesional como para el paciente.

Ventajas clave:

 Eficiencia total: impresión directa, sin termoformado.

 Precisión superior: ajuste perfecto y acabado cristalino.

 Diseño IA gratuito: la IA crea el retenedor a partir del escaneado, sin necesidad de CAD, en solo 5 minutos.

 Sostenibilidad: menor consumo de material y residuos casi nulos.

 Rapidez clínica: entrega en la misma cita.

SprintRay Retainer redefine la ortodoncia digital, combinando velocidad, sostenibilidad y excelencia estética. Una solución avanzada que ahorra tiempo, reduce costes y eleva la calidad del tratamiento.

SprintRay www.sprintray.com

Inmersión en cirugía avanzada con pacientes con el Dr. Alberto Salgado y Ticare

El próximo año 2026 se celebrará una nueva edición del programa de formación avanzada en implantología con el Dr. Alberto Salgado, en colaboración con Ticare, en Salgado Dental Institute (Alicante). Serán los días 5 a 7 de mayo, y 4 a 6 de noviembre cuando los interesados podrán participar de estas formaciones.

La jornada ofrece una inmersión clínica intensiva dirigida a un grupo reducido de máximo 8 participantes, quienes abordarán procedimientos quirúrgicos complejos como: implantes inmediatos, regeneración ósea, elevación de seno y técnica tent pole.

Este formato combina la excelencia teórica con la experiencia práctica: dos días de clases magistrales y cirugías en directo realizadas por el Dr. Salgado y un día de práctica quirúrgica directa, donde los propios alumnos realizarán cirugías tuteladas en pacientes aplicando las técnicas aprendidas.

Una oportunidad única para profesionales que deseen llevar sus habilidades al siguiente nivel, con el respaldo de Ticare.

Inscripciones en www.ticareimplants.com/formacion

Ticare Implants www.ticareimplants.com

Ultradent lanza su revista UltraLife

La compañía Ultradent acaba de lanzar su revista UltraLife, una publicación en la que incluye novedades, casos clínicos y sus ofertas de septiembre a diciembre. En este nuevo número de UltraLife, Ultradent acerca una visión práctica de sus productos estrella. Así, entre sus contenidos destaca la nueva Solución Restauradora de Ultradent™, un caso clínico con el composite universal Transcend™ para restauraciones anteriores y posteriores con su único tono Just One Shade, un ejemplo de los beneficios de su sistema de matrices seccionales Halo™ junto con Transcend™, y un caso clínico con el blanqueamiento dental Opalescence™ PF

Puedes acceder a la revista UltraLife a través de este enlace: https://6424092.fs1.hubspotusercontent-na1.net/hubfs/6424092/ Ultralife%20N%2010.pdf

Ultradent www.ultradent.es

WIA de Clínicas W ya mejora un 23% la asistencia de pacientes

Desde su implantación en el primer semestre del año, WIA, la asistente virtual inteligente de Clínicas W, ha logrado reducir en un 23% las cancelaciones de última hora y las ausencias no justificadas, uno de los grandes retos para la eficiencia en la gestión odontológica. Inspirada en modelos internacionales de éxito, WIA automatiza procesos clave como los recordatorios personalizados, la confirmación de citas y la gestión proactiva de reprogramaciones. El resultado: una comunicación más ágil, constante y eficaz con el paciente, que refuerza su compromiso con el tratamiento y mejora la organización de la clínica. Pero su impacto va más allá de las agendas. Según datos internos de la red, la tecnología ha permitido reducir en un 30% las tareas rutinarias del equipo de recepción, como la atención de llamadas o correos electrónicos. Esto ha liberado recursos para dedicar más tiempo a lo verdaderamente importante: la atención directa y personalizada al paciente. Los primeros resultados de este sistema tecnológico no pueden ser más positivos, ya que se encuentran en consonancia con los estudios que analizan el impacto de la inteligencia artificial en el sector salud. Y es que según datos de la Journal of Medical Systems, el uso de IA puede reducir las ausencias médicas entre un 20% y un 38%.

Esta mejora consolida el compromiso de la red odontológica con el uso de la tecnología responsable y el equipo, ya que no lo sustituye sino que lo potencia. Y en el modelo de Odontología Slow que aplican en la red, eso se traduce en un trato más humano, más cercano y más eficaz.

Clínicas W www.clinicasw.com

Oferta iClave plus + M900L

AUTOCLAVE DE CLASE B CON TECNOLOGÍA DE VANGUARDIA

iClave plus REF. Y1003077

•Autoclave de clase B (conforme a la norma EN 13060)

M900L

REF. P1254001

3. * 499€* 9.340€

ULTIMATE XL

DESDE EL 1 DE OCTUBRE HASTA EL 30 DE NOVIEMBRE DE 2025

MICROMOTOR DE LABORATORIO DE INDUCCIÓN

¿Cómo disfrutar de la oferta?

Contacta con tu distribuidor de confianza para solicitar la oferta

ULTIMATE XL Compact

REF. Y141472

• Torque potente y estable de 6,0 Ncm

• Velocidad: 1.000~50.000 min-1

• Peso: 181 gramos (sin incluir el cable)

1.109€*

2.526€*

Envía tu viejo motor de laboratorio a NSK Dental Spain junto con un

Disfruta de nuestro descuento exclusivo

* Los precios no incluyen IVA • Ofertas limitadas hasta el 30 de noviembre de 2025 o hasta fin de existencias.

Turn static files into dynamic content formats.

Create a flipbook
Issuu converts static files into: digital portfolios, online yearbooks, online catalogs, digital photo albums and more. Sign up and create your flipbook.