Revista Oftalmonews marzo-abril 2023

Page 1

Estimados lectores, Después del merecido descanso, volvemos con energías renovadas para encarar este 2023 que seguramente nos presentará nuevos desafíos y nos acercará a nuevas metas que trataremos de alcanzar con el esfuerzo y dedicación de siempre. A lo largo del año los estaremos acompañando con los destacados artículos que Uds. gentilmente nos envían y los que agradecemos sinceramente. Oftalmonews da la bienvenida a todo el material científico y de difusión que recibimos para publicar.

Neurooftalmología, Casos Clínicos, Óptica y oftalmología, Cultura, etc. son algunas de las secciones de esta edición.

Como es nuestra costumbre, agradecemos a la industria que nos apoya y acompaña, lo que hace posible que Oftalmonews llegue a sus manos desde hace ya 16 años.

Recuerden que los esperamos en IG para difundir los cursos, charlas, encuentros y toda información que a Uds. les interese acercar a nuestros seguidores específicos. No se pierdan la oportunidad. Cada historia y posteo alcanza como mínimo las 2 mil visualizaciones!

Durante marzo se celebra el mes de la mujer; acompañamos y saludamos con un fuerte abrazo a las médicas oftalmólogas que tanto hacen por el cuidado de la salud visual de la población. Va nuestra tapa para representarlas a todas. A Uds., hermosas mujeres, está dedicado este número.

Hasta la próxima!

Las editoras

OFTALMONEWS · 1

ALIVIAPRES®

(Dorzolamida 2% Timolol 0,5%)

Dentro de su línea Oftalmológica, Denver Farma, cuenta con su antiglaucomatoso combinado de Clorhidrato de Dorzolamida y Maleato de Timolol

ALIVIAPRES ® reduce la presión intraocular elevada, esté o no asociada con glaucoma. El efecto combinado de estos dos agentes resulta en una reducción adicional de la presión intraocular, en comparación a cualquiera de los componentes administrados en forma individual.

ALIVIAPRES ® reduce la presión intraocular sin los efectos colaterales comunes de los mióticos, tales como ce -

Microquerátomo ML7

Fabricado en EE.UU. y vendido en 74 países, Tecnología Láser Corneal ofrece el microquerátomo más rápido y avanzado que existe en la actualidad. El ML7 supera todos los defectos de sus predecesores y junto con las cuchillas calibradas CLB , proporciona flaps planos y de espesor predecible en tan solo 7 segundos pudiendo elegir entre 9 espesores desde 70um hasta 150um con una tolerancia y seguridad sin precedentes. Sus anillos de ta -

Presentación de Profhilo

Sumamos procedimientos para oculoplastía a nuestro portfolio de diagnóstico, lentes y sustancias. Lleve su consulta al siguiente nivel: procedimientos mínimamente invasivos; prácticas rápidas en consultorio; tecnologías seguras y de fácil aplicación; excelentes resultados y alta rentabilidad. Tecnoimagen presenta Profhilo, un ácido hialurónico ultra puro que repara y restaura de forma natural los signos del envejecimiento y laxitud de la piel. Estudios científicos demuestran su eficacia en la regeneración de tejido aumentando la producción de colágeno y elastina. Profhilo es un biorremodelador con efecto tensor, único en su tipo, sin agentes químicos reticu-

guera nocturna, espasmo de acomodación y constricción pupilar.

• Efecto antiglaucomatoso sinergista.

• Sin Cloruro de Benzalconio.

• Permite el uso de lentes de contacto.

ALIVIAPRES® está indicado para el tratamiento de la presión intraocular elevada en pacientes con hipertensión ocular o glaucoma de ángulo abierto, glaucoma pseudoexfoliativo u otros glaucomas secundarios de ángulo abierto cuando es apropiada una terapia concomitante. La dosis usual es de 1 gota en el o los ojos afectados, 2 veces al día.

maño compacto permiten crear una bisagra Superior, Nasal o Temporal . Esta última permite una mayor zona libre para la ablación, ideal para hipermetropías.

Con más de 20 años de experiencia en cirugía refractiva con excímer láser, la empresa asegura que el ML7 es la mejor opción para LASIK y DSAEK .

Más información: info@tlcsrl.com.ar o en www.tlcsrl.com.ar. tlcarg

lantes, no voluminiza ni rellena, mejora la calidad de la piel dando brillo, suavidad e hidratación. Son 2 aplicaciones con 30 días de diferencia.

• Rápida aplicación.

• Ambulatorio.

• Sin anestesia.

• Sin dolor.

• Efecto esfera.

• Acción prolongada.

Ofrezca Profhilo a sus pacientes. Súmese a lo último en estética para oftalmología. Soluciones integrales en oftalmología www.tecnoimagen.com.ar

14 · OFTALMONEWS
OftalmoNoticias

Quantel Medical en Argentina y Uruguay

El equipo ABSolu combina una plataforma de ultrasonido donde se puede tener UBM (Ultra Bio Microscopia) con Ecografia de ultima generación y biometria. Su exclusivo sistema de All In One permite conectar las distintas sondas a la consola ahorrando espacio en el consultorio del profesional oftalmólogo y otorgándole una estética única. Quantel Medical ha dado un salto con la nueva tecnología anular de 5 anillos en una sonda de 20 MHz. El principio es emitir ultrasonidos alternados por 5 transductores concéntricos ubicados en una sola sonda. Las imágenes así obtenidas son espectaculares ya que ahora se ve todo el ojo con un nivel de detalle excepcional. Sus características más importantes son mayor profundidad de campo que permite la visualización de todo el ojo, excelente resolución desde la parte anterior del ví -

treo hasta la pared ocular.

Cuenta con una nueva tecnología de imagen UBM que permite diferentes modos de imagen, sensor de movimiento exclusivo IMUv™ que permite localizar el haz de ultrasonidos en tiempo real en el diagrama ocular, software intuitivo y fácil de usar para una mejor experiencia de navegación.

En su modo glaucoma permite la cuantificación semiautomática de AOD, TIA, IT, ARA, LV para facilitar los exámenes y comprender los mecanismos del iris, el cristalino y los cuerpos ciliares en pacientes con glaucoma

También está disponible en Modo Standarizado. El modo A Standarizado permite el diagnóstico de lesiones tumorales, diagnóstico de desprendimiento de retina/membrana vítrea y diagnóstico de enfermedad de Graves.

Plasma rico en plaquetas de alta calidad

En PlasmaRico ® somos líderes en Argentina en la preparación profesional del plasma rico en plaquetas de alta calidad, poseemos más de 22 años de experiencia con más de 40.000 pacientes tratados con nuestro protocolo.

Realizamos a pedido del profesional oftalmólogo colirios de suero autólogo o de factores de crecimiento (plasma rico en plaquetas) en 2 horas, utilizando tecnología de última generación bajo flujo laminar y con la dirección médica del Dr Héctor N. Hendler especialista en Hematología y Hemoterapia.

Está indicado para las siguientes patologías:

• Síndrome de Sjogren.

• Queratitis post Lasik u otras cirugías oftalmológicas.

• Ulceras neurotróficas.

• Penfigoide.

• Síndrome de Stevens Johnson.

• Ojos secos moderados o severos.

• Recuperacion post quirúrgica.

Lo invitamos a conocer nuestros servicios profesionales para sus pacientes, puede solicitar información por Whatsapp al 113933 0260.

OftalmoNoticias 16 · OFTALMONEWS

Historia de una foto

El 8 de marzo de 1908, un suceso trascendental marcó la historia del trabajo y la lucha sindical en el mundo entero: 129 mujeres murieron en un incendio en la fábrica Cotton, de Nueva York, Estados Unidos, luego de que se declararan en huelga con permanencia en su lugar de trabajo.

Más cerca en el tiempo, en 1977, la Asamblea General de la Organización de las Naciones Unidas (ONU) designó oficialmente el 8 de marzo el Día Internacional de la Mujer conmemorando así la lucha de las mujeres por su participación en la sociedad y su desarrollo íntegro como personas, en pie de igualdad con los hombres.

No es sencillo amalgamar la vida laboral con formar una pareja, tener y educar hijos y asistir a nuestros padres cuando llega el momento.

Y es por eso que pensamos en contar una historia a partir de la foto que ilustra esta página.

18 · OFTALMONEWS 8 DE MARZO DÍA INTERNACIONAL DE LA MUJER

Nuestro homenaje

En la imagen están retratados la Dra. Clelia Crespo Nano, María Baya Casal y la Lic. María Eugenia Nano. Estas tres mujeres supieron recrear, convirtiendo en actos, aquellas premisas que el Dr. Nano no se cansó de repetir: la ceguera es parte de la oftalmología. No atendemos ojos enfermos sino personas con ojos enfermos.

Siendo la medicina una ciencia dura y particularmente la oftalmología tan específica, María Eugenia Nano aprendió a mirar a los pacientes viendo ejercer la profesión a su padre; conociendo las historias personales, imaginando a ese hombre, mujer o niño en los ambientes cotidianos, buscando soluciones a problemas mas allá de la salud o la enfermedad. Estudio Antropología y Salud Publica y comenzó con la tarea de crear una Fundación que se dedicara a prevenir la discapacidad visual y rehabilitar a aquellas personas que ya no pueden ser curadas. Hoy, con cinco hijos y cinco nietos (dos por venir) es la Directora Ejecutiva de las Clínicas Nano de San Miguel, Morón y Olivos. Además de participar activamente en la Agencia Internacional de Prevención de la Ceguera (IAPB) , trabajar en la organización de las actividades y sumándose a las campañas que realiza la fundación donde quiera que sean. Su segunda hija, Clelia Crepo Nano, con 38 años y dos hijos sigue el camino de la oftalmología. Es especialista en retina de la Clínica Nano y cuenta con la experiencia de haber participado de campañas en el interior del país desde la adolescencia, por lo que porta también ella la llama del servicio. En 2018 viajó a atender en Fuerte Esperanza, Chaco con un avanzado embarazo; participa y organiza programas, atiende en el consultorio social de la Fundación y coordina desde hace más de once años un programa ROP de detección y tratamiento de Retinopatía del Prematuro en el Hospital Municipal de San Miguel. María Bayá Casal, que tiene seis hijos y dos nietas, tomó la posta de María Eugenia en la Fundación. Coordina y gestiona las actividades de prevención y rehabilitación recibiendo de lunes a viernes en el Centro de Día a 80 personas con discapacidad visual, organizando actividades deportivas y recreativas, realizando alianzas con organizaciones de injerencia en el tema, tanto públicas como privadas que permiten el acceso a la salud visual de niños y adultos.

En las foto de la derecha vemos la finalización de la campaña en el impenetrable Chaqueño, Fuerte Esperanza 2018. Allí se atendieron 1000 pacientes, se entregaron más de 600 anteojos y se realizaron 60 cirugías. Este año, pandemia y fallecimiento del Dr. Nano de por medio, volverán al Impenetrable.

Mujeres que salen del hogar a dejar su huella en el mundo y que tienen la capacidad de dar tanto como para construir amorosos ambientes familiares que alimentan la creatividad y el compromiso en su tarea.

Desde las mártires de Chicago al presente hay un sendero que cada día precisa ser recorrido nuevamente para dejar trazado el camino que permita a cada mujer su participación en la sociedad y su desarrollo íntegro como personas, en pie de igualdad con los hombres, definitivamente.

OFTALMONEWS · 19

Neuropatía óptica hereditaria de Leber. El futuro a un paso

Autora: Dra. M. Laura Braccia Gancedo. Oftalmóloga UBA. Neurooftalmología

International Member North America NeuroOphthalmology Society-NANOS. European Neuroophthalmology Society-EUNOS-2017-2019

Miembro titular Sociedad Argentina Oftalmología. Socio Especialista Consejo Argentino Oftalmología. Oftalmología Mitre. Médica Servicio Neurooftalmología Htal. Clínicas José de San Martín. laurabraccia@gmail.com

GENÉTICA

El veloz desarrollo de métodos de estudio y tratamiento genéticos sobre el ADN mitocondrial (ADNm) modificó en los últimos años las posibilidades terapéuticas actuales y futuras, en pacientes en estadios tempranos de la enfermedad. El conocimien to de esta poco frecuente neuropatía óptica por parte de la comunidad oftalmológica es crucial para diagnosticarla a tiempo con el fin de obtener los mejores resultados visuales en los pacientes con LHON.

HISTORIA

En 1871, Theodor Karl Gustav von Leber, describió un patrón característico de pérdida de visión entre los miembros de 4 familias, destacando la transmisión materna, la predilección por hombres jóvenes y el compromiso casi exclusivo del nervio óptico. Ericson en 1972 sostuvo que el material genético que originaba la enfermedad no provenía del núcleo de la célula. Si bien el ADN mitocondrial fue descubierto en 1963, recién en 1988 Wallace publica el primer reporte de la asociación entre una mutación del ADNm y la neuropatía óptica hereditaria de Leber.

Siendo que el ADNm es aportado por las mitocondrias presentes en el óvulo, las mujeres portadoras de esta mutación en su ADNm lo heredarán a todos sus descendientes, en tanto los varones que lo porten no lo puden transmitir. Por otro lado, la cantidad de mitocondrias por célula varia: si todas ellas contienen ADNm mutado, esta situación se denomina Homoplasmia, en tanto puede haber coexistencia de mitocondrias afectadas (incluso con distintas mutaciones) y mi tocondrias sanas: esta situación se denomina Heteropl asmia, y puede ser la base de la afección de algunos órganos en particular, así como la penetrancia incompleta que tiene esta patología.

Las mutaciones puntuales en el ADNm, (Mutaciones Primarias del LHON) reportadas a nivel mundial, están causadas, en el 90 % de los casos, por tres mutaciones: m.11778G>A (69%) m.3460G>A (13%), y m.1448T>C (14%). Existen otras mutaciones primarias, pero todas ellas afectan a pedigrís aislados o poco numerosos. (Fig 1). Estas mutaciones se encuentran en la región del genoma mitocondrial que codifica para distintas subunidades de la NADH deshidrogenasa, (genes ND1-4-6) enzima crucial en la cadena respiratoria y fosforilación oxidativa, proceso por el cual las mitocondrias producen energía (ATP). El mal funcionamiento de esta enzima puede, además del fallo energético, generar la aparición de especies reactivas del oxigeno, y desencadenar la apoptósis, postulado esto como la base del daño a las células ganglionares que se aprecia en LHON. Estas mutaciones

20 · OFTALMONEWS
La neuropatía óptica hereditaria de Leber (LHON, por sus siglas en inglés) es la mitocondriopatía hereditaria más frecuente en la población y acarrea un pobre pronóstico visual.
NEUROFTALMOLOGÍA

Figura 1. ADNm: Configuración del ADNm indicando las 3 genes más comunmente afectados en el LHON y las multiples mutaciones secundarias y poco frecuentes reportadas. (https://www.mitomap.org/f oswiki/bin/view/MITOMAP/MutationsLHON).

pueden condicionar la coexistencia de más de una patología de origen mitocondrial en los pacientes con LHON, como miopatías, alteraciones de conducción cardíaca, encefalopatías, alteraciones metabólicas. (LHON PLUS).

EPIDEMIOLOGÍA

Esta Neuropatía mitocondrial tiene una prevalencia de 2,7 por 100.000 habitantes, (en series Europeas) se inicia generalmente entre los 15 y 35 años (las edades límites reportadas son entre los 2 y los 87 años) y afecta predominantemente al sexo masculino en una relacion de 9:1.

CUADRO CLÍNICO Y DIAGNÓSTICO

La presencia de esta mutación no lleva necesariamente al compromiso visual, solo aproximadamente el 50% de los hombres y 10% de las mujeres con ADNm patológico desarrollan una neuropatía óptica. Esta baja penetrancia, la

afección más frecuente en el sexo masculino, y el hecho que el inicio de la enfermedad se da durante la segunda y tercera décadas de la vida, llevan a estudiar la participación de factores ambientales, tóxicos, nutricionales y hormonales en el desarrollo de la enfermedad. Estos factores actuarían deteriorando la función mitocondrial (tabaco, alcohol, medicamentos, malnutrición)

Los PORTADORES ASINTOMÁTICOS pueden tener hallazgos en el fondo de ojo y en el OCT: Hiperemia papilar, telangiectasias, aumento del volumen de la capa de fibras en el OCT (pseudoedema).

Existe una etapa PRECLÍNICA en aquellos pacientes en los que se desarrollará daño del nervio óptico, en el que se puede detectar pérdida de celulas ganglionares en el OCT sin alteraciones funcionales hasta 2 meses antes de la etapa CLINICA que se corresponde al de una NEUROPATÍA ÓPTICA BILATERAL, ASINCRÓNICA, INDOLORA, DE CURSO AGUDO O SUBAGUDO . (TABLA 1).

El segundo ojo se compromete en el transcurso de semanas a meses, a veces días.

OFTALMONEWS · 21

NEUROFTALMOLOGÍA

Neuropatía óptica hereditaria de Leber. El futuro a un paso.

En la mayoría de los casos la visión se deteriora a menos de 20/200 y existe un severo compromiso del sentido cromático. En la etapa aguda existe hiperemia papilar, con telangiectasias y edema de la capa de fibras peripapilar (aunque este signo puede no estar presente). Este cuadro evoluciona a la palidez temporal (por afección del haz papilomacular) o difusa de papila, con o sin excavación, y disminución de la capa de fibras en el OCT.

En el campo visual se detectan escotomas centrocecales bilaterales que pueden progresar al defecto difuso. Se denomina etapa CRÓNICA a aquel LHON que superó el año

desde el inicio de la etapa clínica, ya que la mayoría de los pacientes alcanzan la estabilidad en ese tiempo. Se ha documentado una mejoría espontánea de la visión, incluso años después del inicio de la enfermedad, más frecuente en pacientes con la mutación m.1448T>C, siendo la m.11778G>A la de peor pronóstico.

Los diagnósticos diferenciales más importantes se deben hacer con las NEUROPATÍAS ÓPTICAS BILATERALES INDOLORAS, siendo la tóxico nutricional la más importante y con la que comparte fisiopatología.

22 · OFTALMONEWS

NEUROFTALMOLOGÍA

Neuropatía óptica hereditaria de Leber. El futuro a un paso.

Dado el compromiso asincrónico y el aspecto del fondo de ojo en la etapa aguda, los diagnósticos diferenciales pueden ser múltiples (TABLA 2).

mala alimentación. Esto debe recomendarse tanto a los pacientes con LHON como a los portadores asintomáticos.

Desde el descubrimiento del ADNm como elemento causal, las estrategias terapeúticas fueron orientadas a mejorar el funcionamiento del metabolismo mitocondrial, a disminuir el impacto de las consecuencias de la trasducción de ese ADNm mutado(disminución del ATP, especies reactivas del O2), a aumentar la cantidad de mitocondrias en las células para compensar aquellas que fallan (el aumento de la biogénesis de las mitocondrias, se cree es el factor que protege a los portadores asintomáticos) y finalmente a reparar el ADNm a fin de eliminar la mutación y mejorar la función mitocondrial. El reemplazo mitocondrial, puede ser ofrecido a mujeres portadoras en edad reproductiva para evitar la transmisión a su descendencia.

La regeneración de las células ganglionares dañadas mediante células madres de médula ósea, demostró ser eficaz en un grupo pequeño de pacientes con LHON y este método esta aún en fase experimental.

La sospecha clínica de LHON debe ser ante un cuadro clínico compatible, en el que se descartaron otras causas (de ser necesario) sobre todo en adultos jóvenes y si existe historia materna de pérdida visual.

El diagnóstico se confirma con la secuenciación del ADNm: buscando las 3 mutaciones puntuales más importantes (90% de los casos) o secuenciando todo el ADNm, técnica que puede detectar otras mutaciones responsables ya registradas o nuevas.

TRATAMIENTO

El tratamiento para LHON busca la prevención o el retraso de la aparición de la enfermedad en un portador de la mutación o la prevención o retraso del compromiso del segundo ojo y la mejoría del afectado.

Como medida general, se indica el abandono de los hábitos que dañan a la mitocondria o interfieren en su funcionamiento, tales como el consumo de tabaco y alcohol, de sustancias tóxicas, el contacto con metales pesados y la

La Idebenona es un fármaco análogo de la Ubiquinona (Coenzima Q) que mejora la producción de ATP y tiene propiedades antioxidantes. El “International Consensus Statement on the Clinical and Therapeutic Management of Leber Hereditary Optic Neuropathy” desarrollado en 2017, concluyó que se debe utilizar este fármaco en dosis de 900 mg/día repartido en 3 tomas, en pacientes con LHON en etapa aguda o subaguda, que no hayan alcanzado la fase crónica. Su usó resulta en mejoría de la agudeza visual final, sobre todo en pacientes que inician tratamiento con un compromiso visual asimétrico. Los resultados son sostenidos en el tiempo, aún ante la suspensión del uso del fármaco, aunque no hubo consenso sobre la duración total del tratamiento.

La terapia génica apunta al reemplazo de la mutación m.11778G>A, ya que ésta es la más frecuente (69%) y la que menor tasa de recuperación espontánea registra (4%).

GS010 es una terapia génica que apunta a reemplazar esta mutación en el gen ND4.

Esto se logra a través de una inyección intravitrea con un vector (adenovirus) que ingresa el material génico a las células target. Múltiples estudios han demostrado la seguridad en la inyección y la mejoría en la agudeza visual tanto del ojo inyectado como del contralateral.

EL estudio RESCUE reclutó a pacientes con menos de 6 meses de inicio de los síntomas en tanto el REVERSE lo hizo con pacientes entre 6 meses y un año. (TABLA 3).

24 · OFTALMONEWS

NEUROFTALMOLOGÍA

Neuropatía óptica hereditaria de Leber. El futuro a un paso.

CONCLUSIÓN

La neuropatía óptica hereditaria de Leber fue descripta por primera vez hace casi 150 años, su origen en el ADN mitocondrial, hace 32 años; pero, es el avance actual en el estudio completo de ADNm y las herramientas en desarrollo para su reparación, lo que hace que la mitocondriopatía hereditaria más frecuente, este en pleno proceso de encontrar un tratamiento que evite la ceguera legal en pacientes jovenes portadores de esta mutación. Conocer esta patología es clave para su diagnóstico temprano, elemento fundamental en el proceso de ofrecer estos prometedores tratamientos. (TABLA 4).

Referencias bibliográficas:

• Nancy Newman ét al. (2020) Bilateral Visual Improvement with Unilateral Gene Therapy for Leber Hereditary Optic Neuropathy (LHON). NANOS 2020 SYLLABUS.

• Jurkute, Neringa; Harvey, Joshua; Yu-Wai-Man, Patrick. Treatment strategies for Leber hereditary optic neuropathy. Current Opinion in Neurology: February 2019; 32 (1): 99-104.

• Gokoffski et al: Optic Nerve Regeneration: How Will We Get There? J NeuroOphthalmol 2020; 40: 234-242.

• Theodorou-Kanakari A, Karampitianis S, Karageorgou V, ét al. Current and Emerging Treatment Modalities for Leber's Hereditary Optic Neuropathy: A Review of the Literature. Adv Ther. 2018;35(10):1510-1518.

• Yuan J, Zhang Y, Liu H, ét al. Clinical Observation of Patients with Leber's Hereditary Optic Neuropathy Before Gene Therapy. Curr Gene Ther. 2018;18(6):386-392

• Klopstock T, Yu-Wai-Man P, Dimitriadis K, ét al. A randomized placebo-controlled trial of idebenone in Leber's hereditary optic neuropathy. Brain. 2011;134(Pt 9):2677-2686.

• Klopstock T, Metz G, Yu-Wai-Man P, ét al. Persistence of the treatment effect of idebenone in Leber's hereditary optic neuropathy. Brain. 2013;136(Pt 2):e230.

• Balducci N, Cascavilla ML, Ciardella A, ét al. Peripapillary vessel density changes in Leber's hereditary optic neuropathy: a new biomarker. Clin Exp Ophthalmol. 2018;46(9):1055-1062.

• Blanc, Christelle MD; Heran, Françoise MD; Habas, Christophe MD; Bejot, Yannick MD, PHD; Sahel, José MD, PHD; Vignal-Clermont, Catherine MD. MRI of the Optic Nerves and Chiasm in Patients With Leber Hereditary Optic Neuropathy. Journal of Neuro-Ophthalmology: 2018 ;38 (4):434-437.

• Fraser JA, Biousse V, Newman NJ. The neuro-ophthalmology of mitochondrial disease. Surv Ophthalmol. 2010;55(4):299-334.

• Carelli V, Carbonelli M, de Coo IF, ét al. International Consensus Statement on the Clinical and Therapeutic Management of Leber Hereditary Optic Neuropathy. J Neuroophthalmol. 2017;37(4):371-381.

• Barboni P, Sadun A. Atlas of Lhon (2019) MEDonline international b.v.

26 · OFTALMONEWS

Síndrome de Vogt-Koyanagi-Harada (VKH- like) postadministración de nivolumab

Vogt-Koyanagi-Harada (VKH-like) syndrome after administration of nivolumab

Autor y autoras: Dr. Venancio, Pablo; Dra. Faretta, Martina; Dra. Valeiras, Andrea. Servicio de Oftalmología del Hospital Interzonal General de Agudos R. Rossi de La Plata, Pcia. de Buenos Aires. Autor responsable: Dr. Venancio Pablo. venanciopablo@hotmail.com

RESUMEN

Objetivo

Presentar un caso clínico del Síndrome de Vogt Koyanagi Harada Like por terapia antineoplásica con inhibidores de puntos de control inmunitario (ICIs) como lo es el nivolumab en un paciente con antecedente de cáncer de riñón estadío III.

Caso Clínico

Paciente masculino de 67 años diagnosticado en 2004 de cáncer de riñón cuyo tratamiento inicial consistió en resección quirúrgica con resultados satisfactorios, hasta que en el año 2015 en una tomografía computada de control se evidenciaron ganglios linfáticos infiltrados. Se inició tratamiento oncológico con diferentes drogas antineoplásicas pertenecientes al grupo de inhibidores de tirosin quinasa sin obtener resultados terapéuticos favorables, por lo que se decidió en 2017 iniciar tratamiento con nivolumab (anticuerpo monoclonal). Meses más tarde dicho fármaco debió ser suspendido por presentar el paciente cuadro compatible con Vogt Koyanagi Harada Like post administración del nivolumab, considerandose éste un efecto adverso oftalmológico grave.

Conclusión

En pacientes tratados con nivolumab es importante la realización del control y seguimiento oftalmológico, ante la posible aparición de efectos adversos como el VKH-like.

Palabras clave

Objective

To present a clinical case of Vogt Koyanagi Harada Like Syndrome due to antineoplastic therapy with immune checkpoint inhibitors (ICIs) such as nivolumab in a patient with a history of stage III kidney cancer.

Abstract 30 · OFTALMONEWS UVEÍTIS - CASOS CLÍNICOS
Vogt Koyanagi Harada; VKH-like; uveítis; efectos adversos; anticuerpos monoclonales.

Conclusión

In patients treated with nivolumab, ophthalmological control and follow-up is important, given the possible appearance of adverse effects such as VKH-like.

Keywords

Vogt Koyanagi Harada; VKH-like; uveitis; Adverse effects; monoclonal antibodies.

Case report

A 67-year-old male patient diagnosed in 2004 with kidney cancer whose initial treatment consisted of surgical resection with satisfactory results, until in 2015 a control computed tomography showed infiltrated lymph nodes. Oncological treatment was started with different antineoplastic drugs be-longing to the group of tyrosine kinase inhibitors without obtaining favorable therapeutic results, so it was decided in 2017 to start treatment with nivolumab (monoclonal antibody). Months later, said drug had to be suspended because the patient presented symptoms compatible with Vogt Koyanagi Harada Like after the administration of nivolumab, considering this a serious ophthalmological adverse effect.

INTRODUCCIÓN

El síndrome de Vogt Koyanagi Harada (VKH) es una afección que en su forma completa produce uveítis difusa bilateral con compromiso del sistema nervioso (meningismo), auditivo (acúfenos e hipoacusias en frecuencias altas) y cutáneos (vitíligo) 1 . Aunque su etiología es desconocida, el mecanismo fisiopatológico se debería a una respuesta autoinmune dirigida contra los melanocitos 1 .

Algunos grupos farmacológicos antineoplásicos como los inhibidores de puntos de control inmunitarios (ICIs), como el nivolumab, se relacionan con la aparición de síndrome similar al VKH, por lo que se ha denominado

como VKH like 2-5 . Los ICIs estimulan el sistema inmunitario y causan varios efectos secundarios de tipo autoinmune, que se conocen como eventos adversos relacionados con el sistema inmunitario (irAE) 6 . El nivolumab es un anticuerpo monoclonal humano de tipo inmunoglobulina G4 que se une al receptor de muerte programada 1 (PD-1) y bloquea su interacción con PDL1 y PD-L2 potenciando la respuesta de los linfocitos incluyendo respuestas antitumorales 2

En oftalmología, la uveítis y el ojo seco se encuentran entre los irAE conocidos 7-8 . Teniendo en cuenta que estos fármacos son parte del arsenal terapéutico actualmente utilizado para el tratamiento de patologías oncológicas en la actualidad, el propósito del presente trabajo es reportar un caso de un paciente con síndrome de Vogt Koyanagi Harada (VKH) like post administración de nivolumab.

CASO CLÍNICO

Paciente masculino de 67 años fue diagnosticado de cáncer de riñón estadío III en 2004.

El tratamiento consistió en resección quirúrgica obteniendo resultados satisfactorios, hasta que en el año 2015 en una tomografía computada de control se evidenciaron ganglios linfáticos infiltrados. Se inició tratamiento oncológico con sunitinib, el cual se mantuvo por 2 años y medio, con estabilidad de la enfermedad de base. Luego se administraron diferentes drogas antineoplásicas pertenecientes al grupo de inhibidores de tirosin quinasa (everolimus, pazopanib) sin obtener resultados terapéuticos favorables, por lo que se decidió en julio del año 2017 iniciar tratamiento con nivolumab (anticuerpo monoclonal) a una dosis de 3 mg/ kg administrado por vía intravenosa durante 60 minutos cada 2 semanas.

Luego de 4 meses del inicio de nivolumab (fines de 2017) el paciente refirió disminución de la agudeza visual (AV) bilateral con dolor y enrojecimiento ocular, pero no consultó a ningún oftalmólogo. Su oncólogo suspende nivolumab por efectos adversos oftalmológicos y por falta de respuesta de la enfermedad de base e indica reiniciar terapia con axitinib y finalmente con pazopanib.

OFTALMONEWS · 31

Síndrome de Vogt-Koyanagi-Harada (VKH- like) postadministración de nivolumab.

En octubre de 2019, el paciente fue referido a nuestro servicio para evaluación por disminución de la AV; (AV mejor corregida AVMC 6/10 OD y 10/10 OI). En la biomicroscopía (BMC) como se observa en las figuras 1 y 2 de ambos ojos (AO) se constataron precipitados queráti-

cos (PKs) intermedios a gruesos, difusos, células en cámara anterior de 3x y sinequias posteriores (SP). La presión intraocular (PIO) era de 40/20 mm Hg en OD y en OI respectivamente. En el fondo de ojos (figuras 3 y 4) se constató palidez de papila y atrofia peripapilar, retina

UVEÍTIS - CASOS
32 · OFTALMONEWS
CLÍNICOS
Figuras 1 y 2: biomicroscopía de ambos ojos: precipitados queráticos (PKs) intermedios a gruesos, difusos, células en cámara anterior de 3x y sinequias posteriores (SP). Figuras 3 y 4: fondo de ojos derecho e izquierdo: palidez de papila y atrofia peripapilar, retina aplicada y despigmentación difusa (sunset glow fundus).

UVEÍTIS - CASOS CLÍNICOS

Síndrome de Vogt-Koyanagi-Harada (VKH- like) postadministración de nivolumab.

aplicada y despigmentación difusa (signo de “sunset glow fundus”) por la afectación del epitelio pigmentario de la retina (EPR). Teniendo en cuenta los antecedentes clínicos del paciente, se interpretó el cuadro como un VKHlike, Se inició tratamiento con meprednisona oral 20 mg/kg/día e hipotensores oculares tópicos (timolol + dorzolamida). La respuesta antiinflamatoria fue satisfactoria ya que en los controles subsiguientes no se observaban PKs ni células en cámara anterior, sin embargo, la PIO en OD persistió elevada pese al tratamiento hipotensor. En la gonioscopía (figuras 5 y 6) se constató ángulo cerrado con sinequias en los 360º, por lo que se

inició acetazolamida oral 250 mg 3 veces por día y se programó cirugía de implante de válvula de Ahmed en OD, la cual se realizó en marzo 2021.

En la actualidad no presenta actividad inflamatoria ocular. La AVMC es movimiento de manos (MM) en OD y 10/10 en OI. La presión intraocular en OD es de 10 mm Hg sin tratamiento y en el OI es de 14 mm Hg con dos drogas. En el fondo de ojos persiste en AO palidez papilar con retina aplicada y despigmentación difusa.

DISCUSIÓN

El presente estudio de un caso expresa la relevancia de tener en cuenta que existe la posibilidad del desarrollo de un efecto adverso oftalmológico en personas que requieran la utilización de nivolumab, que se manifiesta de forma similar al síndrome VKH. En nuestro caso, se trató de un paciente con cáncer de riñón tratado con este fármaco, que posteriormente desarrolló una uveítis bilateral granulomatosa que se diagnosticó por su relación clínica y posterior evolución como un VKH-like, Nuestro paciente, también tuvo glaucoma secundario, por lo que además de suspender el tratamiento de nivolumab, y utilizar tratamiento con corticoides sistémicos para el control de la inflamación, posteriormente requirió una cirugía de glaucoma en uno de sus ojos.

El VKH está estrechamente relacionado al HLA DR4 y aunque el mecanismo permanece desconocido, pero se presume una enfermedad autoinmune que involucra a los melanocitos 1 . El bloqueo PD-L1 por nivolumab activaría a células T específicas para melanocitos, ya que los antígenos específicos de estos podrían ser presentados por el complejo HLA 1 . Los ICIs han mejorado notablemente los tratamientos oncológicos, sin embargo, los efectos adversos inmunomediados suelen presentarse con relativa frecuencia 6-8 . Entre estos se encuentran uveítis, vitíligo, enterocolitis, hepatitis, poliartritis, LES, diabetes, pancreatitis, hipofisitis, hipotiroidismo y miastenia 6 . La mayoría de estos responden a corticoides, los cuales deben ser iniciados rápidamente y en dosis suficientes. También se debe suspender la administración de los ICIs y evaluar discontinuar permanentemente si el efecto adverso fue severo o potencialmente mortal 6-8

34 · OFTALMONEWS
Figuras 5 y 6: gonioscopía de ambos ojos: ángulo cerrado con sinequias en los 360º.

Aunque se ha informado uveítis bilateral como efecto secundario de la administración de nivolumab, deseamos destacar el aspecto original del presente trabajo, ya que tras haber realizado una extensa búsqueda bibliográfica en medios electrónicos se han encontrado muy pocos trabajos que hayan reportado algo similar.

En 2017 se publicó el primer caso donde se estableció una potencial relación entre el nivolumab y el desarrollo de un efecto adverso oftalmológico 2 . En ese caso, durante la evolución de una paciente con melanoma y metástasis la misma desencadenó un VKH-like con hipertensión ocular, que a diferencia de nuestro paciente la misma pudo controlarse con gotas de hipotensores oculares y no requirió ningún procedimiento quirúrgico. En el mismo año, se publicó un trabajo similar, donde se presentó un VKH-like en una mujer de 92 años tratada por melanoma metastásico 3 .

En 2019 fue publicado un caso de una paciente femenina de 63 años la cual desarrolló un VKH like con nivolumab para el tratamiento de melanoma cutáneo 4 . En este caso, el cuadro oftalmológico se manifestó con disminución de agudeza visual y uveítis panuveítis granulomatosa bilateral. Se constató la afectación retinal mediante retinofluoresceinografía (RFG) y tomografía de coherencia óptica (OCT). Ante la sospecha de la re-

lación con el nivolumab, los autores suspendieron el tratamiento y el cuadro resolvió completamente sin dejar secuelas, 4 meses más tarde. Al igual que en nuestro caso, el compromiso ocular fue bilateral y se requirió tratamiento hipotensor ocular. Pero además, por fracaso del mismo, nuestro paciente necesitó colocación de Válvula de Ahmed, y lamentablemente presentó lesiones secuelares en el fondo de ojos (despigmentación de retina y palidez papilar).

En conclusión, los nuevos enfoques terapéuticos de pacientes oncológicos con inhibidores de puntos de control inmunitario (ICIs) como lo es el nivolumab, suponen una excelente opción terapéutica con lo que se ha conseguido alcanzar mejores tasas de respuestas y de supervivencia a largo plazo. Sin embargo, los efectos adversos inmunomediados deben ser considerados, diagnosticados precozmente y tratados oportunamente para no generar problemas adicionales en el paciente y empeorar así su calidad de vida.

Referencias bibliográficas:

1. Moorthy RS, Inomata H, Rao NA. Vogt-Koyanagi-Harada syndrome. Surv Ophthalmol. 1995;39(4):265-292. doi:10.1016/s0039-6257(05)80105-5

2. Matsuo T, Yamasaki O. Vogt-Koyanagi-Harada disease-like posterior uveitis in the course of nivolumab (anti-PD-1 antibody), interposed by vemurafenib (BRAF inhibitor), for meta-static cutaneous malignant melanoma. Clin Case Rep. 2017;5(5):694-700. doi:10.1002/ccr3.911

3. Baughman DM, Lee CS, Snydsman BE, Jung HC. Bilateral Uveitis and Keratitis Following Nivolumab Treatment for Metastatic Melanoma. Med Case Rep (Wilmington). 2017;3(2):8. doi:10.21767/2471-8041.100044

4. Obata S, Saishin Y, Teramura K, Ohji M. Vogt-Koyanagi-Harada Disease-Like Uveitis during Nivolumab (Anti-PD-1 Antibody) Treatment for Metastatic Cutaneous Malignant Melanoma. Case Rep Ophthalmol. 2019;10(1):67-74. Published 2019 Feb 8. doi:10.1159/000496682

5. Kikuchi R, Kawagoe T, Hotta K. Vogt-Koyanagi-Harada disease-like uveitis following nivolumab administration treated with steroid pulse therapy: a case report. BMC Ophthalmol. 2020;20(1):252. Published 2020 Jun 24. doi:10.1186/s12886020-01519-5

6. Dalvin LA, Shields CL, Orloff M, Sato T, Shields JA. CHECKPOINT INHIBITOR IM-MUNE THERAPY: Systemic Indications and Ophthalmic Side Effects. Retina. 2018;38(6):1063-1078. doi:10.1097/IAE.0000000000002181

7. Michot JM, Bigenwald C, Champiat S, et al. Immune-related adverse events with immune checkpoint blockade: a comprehensive review. Eur J Cancer. 2016;54:139148. doi:10.1016/j.ejca.2015.11.016

8. Zhou YW, Xu Q, Wang Y, Xia RL, Liu JY, Ma XL. Immune checkpoint inhibitor-associated ophthalmic adverse events: current understanding of its mechanisms, diagnosis, and management. Int J Ophthalmol. 2022;15(4):646-656. doi:10.18240/ijo.2022.04.19

OFTALMONEWS · 35

Hemorragia retrobulbar: Serie de casos y revisión de la literatura

Autoras/es: Dra. Valentina Rodriguez Martini, Dra. Mercedes Azulay, Dra. Soledad M. Valeiras y Dr. Fernando Mayorga Argañaraz Servicio de Oftalmología del Hospital Alemán.

INTRODUCCIÓN

La hemorragia retrobulbar (HRB) es una afección rara pero grave que puede provocar la pérdida permanente de la visión. Es una complicación quirúrgica conocida después de la reducción de fracturas faciales (0,3 %), cirugía endoscópica de senos paranasales (0,43 %), blefaroplastia (0,055 %) e inyección retrobulbar de anestesia (0,44 %) (1-3). Es también una causa común de ceguera post-traumática, especialmente en el contexto de una fractura orbitaria (1,2,4,5). La incidencia de HRB en pacientes con fracturas orbitarias se estima en 0,45-0,6% (2,5,6).

Puede provocar un síndrome compartimental orbitario (SCO) ya que la órbita es un espacio cerrado no extensible, definido posteriormente por la anatomía ósea y anteriormente por el borde orbitario y el septum orbitario. Después del evento incitador, el daño arterial o venoso intraorbitario puede provocar la acumulación de líquido y sangre con un

Caso 1. Blefaroplastia.

Paciente de sexo femenino de 69 años de edad, con hipertensión arterial (HTA) medicada con nevibolol y amlodipina, presenta del OI edema periorbitario y proptosis dolorosa con midriasis ( Imagen A ) luego de una blefaroplastia superior bilateral e inferior transconjuntival bilateral realizada por el equipo de cirugía plástica. Por sospecha de HRB se realiza CCL por médica oftalmóloga luego de haber pasado 45 minutos del inicio de los síntomas. La paciente presenta en el examen oftalmológico post CCL visión no luz, pupila midriática, disminución de

rápido aumento de la presión intraorbitaria, lo que conduce a la oclusión de la arteria central de la retina y a la disminución de las presiones de perfusión, causando en última instancia una neuropatía óptica isquémica que se manifiesta como pérdida de visión (7). Los signos y síntomas incluyen proptosis dolorosa, aumento de la presión intraocular, disminución de la agudeza visual (AV), defecto pupilar aferente relativo (DPAR), alteración en la motilidad del globo ocular y edema periorbitario (8).

Se trata de una emergencia oftalmológica que debería tratarse dentro de los 90 minutos de iniciados los signos y síntomas (9). La cantotomía lateral con cantolisis (CCL) es el tratamiento indicado para tratar esta patología y la misma se puede realizar en el consultorio o al lado de la cama del paciente para disminuir la presión orbitaria y evitar el daño irreversible de la AV. El tratamiento no debe ser demorado ya que el pronóstico visual de los pacientes dependerá del tiempo transcurrido entre la instalación del cuadro clínico y la realización de la CCL.

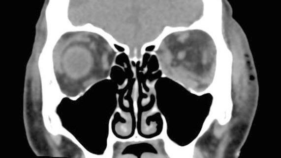
la proptosis y del dolor. Se solicita una tomografía computada (TC) de órbitas que evidencia marcada proptosis ocular izquierda (Imagen B1) asociada a alteración del plano graso intraconal a predominio inferior, impresionando aumento del grosor del músculo recto inferior izquierdo en probable relación a cambios edematosos inflamatorios ( Imagen B2 ). Se decide la realización de una descompresión orbitaria endoscópica de urgencia llevada a cabo por el equipo de otorrinolaringología. En el procedimiento se libera completamente la lámina pa-

OCULOPLASTIA - CASOS CLÍNICOS 36 · OFTALMONEWS

pirácea del etmoides y se reseca la misma hasta evidenciarse la periorbita medial ( Imagen C ). Se procede a la apertura de la periorbita en forma longitudinal con la consiguiente herniación de grasa orbitaria y coágulos intraorbitarios. En el control postoperatorio, la paciente continúa con visión no luz, pupila midriática, sin evolución favorable pese a la intervención quirúrgica.

La paciente permanece internada para seguimiento estricto del cuadro y control de su HTA por el servicio de cardiología y se decide en conjunto con la sección de neuroftalmología la realización de pulsoterapia endovenosa con metilprednisolona a razón de 1 gramo por día por 3 días.

El día 9 postoperatorio se realiza el cierre de CCL y al día siguiente se externa. La paciente presenta una buena evolución sistémica y recuperación cosmética ( Imagen D ), sin recuperación de la AV.

Imagen A: Imagen de la paciente cursando postoperatorio de blefaroplastia de 4 párpados que evidencia proptosis con edema y equimosis bipalpebral del lado izquierdo. La paciente sentía dolor y la pupila estaba midriática.

predominio inferior, impresionando aumento del grosor del músculo recto inferior izquierdo en probable relación a cambios edematosos inflamatorios.

OFTALMONEWS · 37
Imagen B2: TC de órbitas en corte coronal que evidencia alteración del plano graso intraconal a Imagen B1: TC de órbitas en corte axial que evidencia marcada proptosis izquierda. Imagen C: Fotografía de cámara de video de endoscopia endonasal que evidencia la apertura de la pared medial de la órbita, visualizando la periórbita medial.

OCULOPLASTIA - CASOS CLÍNICOS

Hemorragia retrobulbar: Serie de casos y revisión de la literatura

Imagen D: Aspecto de la paciente al mes de la intervención quirúrgica donde puede verse el restablecimiento de la posición axial del globo ocular izquierdo, la disminución del edema y la equimosis palpebral y la buena posición del párpado inferior izquierdo luego del cierre de la CCL.

Caso 2. Anestesia parabulbar.

Paciente de sexo masculino de 82 años de edad, HTA medicado con bisoprolol y amlodipina, antecedendente de endarterectomía carotídea, angioplastia por claudicacion intermitente de miembros inferiores en dos oportunidades y angioplastía coronaria derecha por cardiopatía coronaria, en tratamiento con clopidogrel y aspirina, y en tratamiento con tamsulosina por hiperplasia prostática benigna (HPB). Presenta en OD disminución de agudeza visual mejor corregida (AVMC) 20/50, justificable por catarata nuclear N8 (según clasificación decimal de las cataratas BCN10 por Barraquer). Se decide entonces cirugía de catarata del OD. El médico cardiólogo no autorizó la suspensión de antiagregantes. El día de la cirugía se realiza anestesia retrobulbar. Luego de asepsia local con Iodopovidona (piel 10% y conjuntiva 5%) y colocación de compresa fenestrada adhesiva estéril, se accede a cámara anterior por vía corneo corneal con un cuchillete 2.2 mm. Se constata prolapso del iris por la incisión corneal, detectándose importante aumento de presión intraocular, rigidez escleral y abrupta quemosis hemorrágica en los 4 cuadrantes. Se intenta reposicionar el iris con espátula y se procede a la realización de una iridectomía en sector con cierre de la incisión corneal con 4 puntos de nylon 10-0, colocando además aire en la cámara anterior. Se indica goteo de manitol endovenoso con monitoreo estricto. Al retirar la compresa fenestrada se evidencia proptosis descrita por el paciente como dolorosa. La pupila se encuentra midriática, por la colocación de colirio con fenilefrina y tropicamida para la preparación para la cirugía de catarata, y la motilidad ocular restringida por efecto del bloqueo anestésico. El cuadro, por los antecedentes médicos del paciente y la anestesia realizada, se interpreta como HRB, e inmediatamente se procede a la

realización de una CCL ( Imagen E ). Luego se pasan 10 unidades de plaquetas.

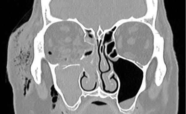
El paciente se interna para control estricto de la complicación intraoperatoria y evaluación cardiológica. Se solicita una TC de órbitas que evidencia aumento del espesor de partes blandas preseptales derechas con algunas burbujas aéreas adyacentes, en probable relación al antecedente quirúrgico, e imagen espontáneamente densa de localización extraconal que mide aproximadamente 2,5 cm x 0,7 cm en topografía inferolateral de la órbita derecha, de aspecto hemático, con discreto engrosamiento del músculo recto externo derecho en íntimo contacto con el hematoma descrito ( Imagen F ). Se interpreta como hematoma subperióstico secundario a la inyección temporal inferior para el bloqueo anestésico.

A las 24 hs el paciente presenta en OD una AV de movimiento de manos (MM), con mejora de la motilidad ocular, biomicroscopía que mostraba una cámara anterior formada con burbuja de aire, edema corneal estromal, iridectomía en sector superior, cristalino blanco, sin signos de infección y Seidel negativo. La presión intraocular se encontraba en 28 mmHg. Se indican gotas de gatifloxacina con dexametasona cada 4 horas y gotas de timolol con brimonidina cada 12 horas.

A los 4 días se decide realizar la extracción del cristalino con colocación de lente intraocular en el bag y cierre de CCL. El paciente se externa y continua de manera ambulatoria con las gotas mencionadas previamente agregando al tratamiento cloruro de sodio al 5% cada 4 hs por 1 mes.

A los 3 meses de seguimiento, el paciente presenta del OD AVMC de 20/30, biomicroscopia con iridectomía en sector superior, pseudofaquia y presión de 12 mmHg sin medicación.

38 · OFTALMONEWS

Hemorragia retrobulbar: Serie de casos y revisión de la literatura

Imagen E: Técnica de cantotomía cantolisis, inmediata a la identificación de proptosis, quemosis hemorrágica y aumento del tono ocular en paciente con doble antiagregación al que se le realizó anestesia parabulbar para extracción de catarata, vista desde afuera (izquierda) y desde la cámara del microscopio (derecha).

Caso 3. Trauma craneofacial.

Paciente masculino de 72 años de edad, tabaquista, HTA en tratamiento con bisoprolol, hidralazina y perindopril, hipotiroidismo medicado con levotiroxina, antecedente de episodio de trombosis venosa profunda (TVP) y tromboembolismo pulmonar (TEP) motivo por el cual recibe anticoagulación con rivaroxaban y cáncer de próstata tratado con radioterapia. Se presenta a la consulta oftalmológica luego de 4 horas de ocurrido traumatismo ocular derecho por caída de su propia altura al tropezarse en la calle. Al examen oftalmológico en OD presenta edema y equimosis bipalpebral, con laceración en párpado superior ( Imagen G ). La AVMC del OD era de 20/60 y OI de 20/25. El examen pupilar revelaba una pu-

Imagen F: TC en corte coronales que evidencia imagen espontáneamente densa de localización extraconal que mide aproximadamente 2,5 cm x 0,7 cm en topografía inferolateral de la órbita derecha, de aspecto hemático, con discreto engrosamiento del músculo recto externo derecho en íntimo contacto con el hematoma descrito.

pila derecha discórica, midriática, arreactiva e izquierda reactiva. A la motilidad ocular presentaba en OD restricción a la infraducción, supraducción y aducción ( Imagen H ), OI conservadas. A la biomicroscopía OD se observaba quemosis 360° y pupila discórica, sin otros hallazgos de relevancia, OI s/p. Presión intraocular 38/18 mmHg. Fondo de ojos en ambos ojos presentaba papila bordes netos con polo posterior y retina periférica sin hallazgos agudos. Se presume cuadro de HRB y se procede inmediatamente a la técnica de CCL (Imagen I ). Luego del procedimiento se constata menor tensión palpebral, franca mejoría de la motilidad ocular, la agudeza visual mejoró una línea (20/50) y la PIO descendió a 22 mmHg.

OCULOPLASTIA - CASOS CLÍNICOS
40 · OFTALMONEWS

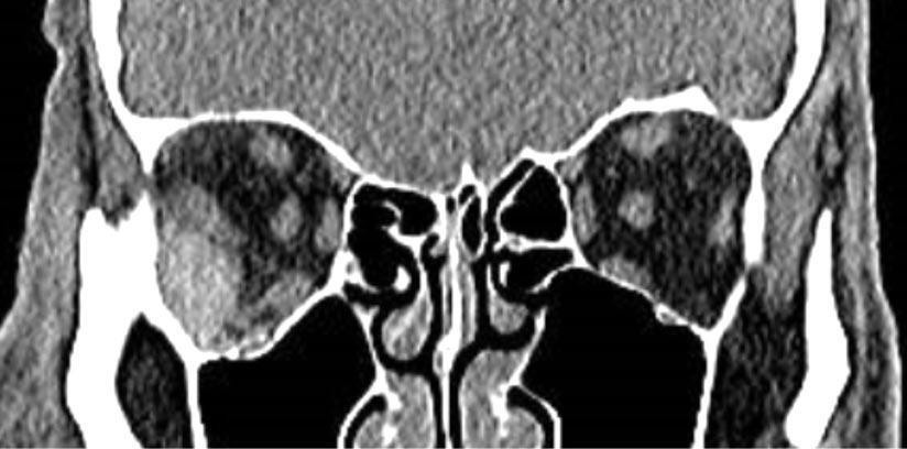
Posteriormente, una vez estabilizado el cuadro, se solicitó TC de cerebro y órbita de control donde se evidenciaba: contusión de partes blandas periorbitaria derecha con extensión maxilar y parietal homolateral, alteración de la grasa orbitaria intra y extraconal asociada a la presencia de líquido y/o sangre, engrosamiento del músculo recto interno, leve proptosis ocular derecha, trazos de fractura en la pared interna y piso de la órbita con herniación grasa orbitaria y velamiento del seno maxilar derecho, compatible con hemoseno, extendiéndose hacia coana homolateral y cavum ( Imagen J ).

Se continúa seguimiento del paciente con evolución favorable, AVMC 20/25 en ambos ojos, buena motilidad ocular con insuficiencia de la convergencia y PIO 14 mmHg AO.

Imagen I: Imagen de procedimiento donde se visualiza liberación del párpado inferior de su inserción cantal luego de una correcta CCL.

Imagen G: Imagen del paciente 4 horas post trauma donde se observa edema y equimosis bipalpebral, con laceración de párpado superior derecho.

Imagen J: TC cortes coronales que evidencian en OD alteración de la grasa orbitaria intra y extraconal asociado a presencia de líquido y/o sangre, engrosamiento del músculo recto interno, leve proptosis ocular y trazo fracturario en piso de la órbita con velamiento del seno maxilar compatible con hemoseno.

DISCUSIÓN

La HRB es una afección poco frecuente, pero grave, que suele presentarse dentro de las 24 horas posteriores a un traumatismo o cirugía electiva. Puede generar pérdida visual permanente sin tratamiento oportuno.

Imagen H: Imagen del paciente en la evaluación de motilidad ocular donde se evidencia restricción a la elevación del ojo derecho.

El diagnóstico es clínico. La TC puede diferirse para disminuir el tiempo desde la lesión hasta el tratamiento. Si bien se recomienda realizar una CCL dentro de los 90 minutos, se ha visto que las CCL realizadas luego de este plazo también mejoran la AV, con lo cuál debemos realizarla siempre (10).

OFTALMONEWS · 41

OCULOPLASTIA - CASOS CLÍNICOS

Hemorragia retrobulbar: Serie de casos y revisión de la literatura

El paciente del caso 2 es el único que se trató dentro de la ventana terapéutica, con recuperación ad integrum de la visión. Los otros dos fueron tratados más allá de la ventana de tiempo, aunque el caso 3 presentó recuperación total de la visión de todas formas.

Si en el examen oftalmológico inicial, el paciente presenta disminución visual severa o alteraciones pupilares, esto es indicativo de un proceso más avanzado o grave, y se asocia a mal pronóstico (11). La paciente del caso 1 se presentó con este cuadro clínico y no recuperó la visión pese a los múltiples esfuerzos terapéuticos realizados.

La bibliografía establece que aproximadamente la mitad (51%) de los pacientes a los que se les realiza una CCL tienen una recuperación visual completa sin defectos visuales, mientras que el 22% desarrolla ceguera, siendo el tiempo desde el inicio de los síntomas de la HRB y su tratamiento un factor determinante para el pronóstico visual (11). Algunos estudios plantean el uso de esteroides adyuvantes a la CCL con la finalidad de tratar y/o prevenir daño isquémico del nervio óptico e inflamación de los tejidos orbitarios (11). Nosotros usamos corticoides en los 3 casos, a razón de 1 gramo de metilprednisolona endovenosa (solumedrol) por día, por 3 días. Sin embargo, aún no existen trabajos estadísticamente significativos sobre su uso en estos casos (5,11,12). Dentro de la terapia farmacológica adyuvante también se pueden utilizar acetazolamida y manitol para el manejo del aumento de la presión intraocular que muchas veces acompaña estos cuadros (6).

Se han descrito casos donde la CCL no logró descomprimir suficientemente la órbita debido a la severa tensión palpebral y del globo ocular. En este sentido, se proponen otras técnicas tales como la descompresión orbitaria (5). En el caso 1 se decidió descompresión orbitaria endoscópica con apertura de la pared medial de la órbita ante la falta de mejoría visual de la paciente post CCL, aunque la paciente no recuperó finalmente la visión. Existen múltiples factores de riesgo para el desarrollo de una HRB como lo son los tratamientos anticoagulantes y/o antiagregantes; la edad avanzada, que aumenta la frecuencia de uso de la medicación previamente mencionada, como también el riesgo de caídas y trauma maxilofacial, siendo esta última la

Referencias bibliográficas:

causa más frecuente de HRB; la HTA; los trastornos de la coagulación y las maniobras de valsalva posteriores a un trauma o cirugía. Nosotros presentamos un primer caso de una paciente HTA y añosa, a la que se le realizó una blefaroplastia de 4 párpados; un segundo caso de un paciente con doble antiagregación que recibió una anestesia parabulbar y un tercer caso de trauma maxilofacial en un paciente anticoagulado, añoso e hipertenso. Para evitar una HRB es importante que previo a cualquier cirugía el oftalmólogo conozca la medicación que reciben los pacientes, y en caso de estar anticoagulado o antiagregado, determine junto con el médico que le indica esa medicación el riesgo-beneficio de la suspensión. En caso de no poder suspender la medicación, si no se trata de una cirugía urgente lo mejor sería demorar el procedimiento. Además, se debe asegurar un control riguroso de la presión arterial (TA) tanto pre, intra y postoperatoria y una adecuada anestesia para evitar fluctuaciones en la TA causadas por dolor. Durante la cirugía, siempre realizar una buena hemostasia y evitar maniobras de valsalva, por lo cual se podría considerar el uso de antieméticos y antitusivos en caso de náuseas y de tos respectivamente.

CONCLUSIONES

Existen múltiples causas de HRB, por lo que es importante que todos los oftalmólogos conozcan su forma de presentación para poder reconocer la patología y realizar el tratamiento temprano y de forma eficaz, lo cual es determinante para el pronóstico visual de los pacientes, y fundamentalmente, conocer los factores de riesgo de la HRB para evitarla. La principal causa de HRB es el trauma, y estos pacientes se presentan en la emergencia, por lo que es fundamental que todos los oftalmólogos, y no solo los especialistas en oculoplastia, sepan hacer una correcta y oportuna CCL.

Ante la sospecha clínica de HRB, la terapéutica no debe retrasarse por el pedido de estudios por imágenes, los cuales deberán ser solicitados una vez realizado el tratamiento y de esta forma no perder la ventana de oro para tratarla y evitar la pérdida de la visión.

1. Chen Y, Singhal D, Chen Y, Chen C. Management of acute traumatic retrobulbar haematomas: a 10-year retrospective review. J Plast Reconstr Aesthet Surg 2012;65:1325–30.

2. Colletti G, Valassina D, Rabbiosi D, et al. Traumatic and iatrogenic retrobulbar hemorrhage: an 8-patient series. J Oral Maxillofac Surg 2012;70:e464–8.

3. Rosdeutscher J, Stadelmann W. Diagnosis and treatment of retrobulbar hematoma resulting from blunt periorbital trauma. Ann Plast Surg 1998;41:618–22.

4. Gerbino G, Ramieri G, Nasi A. Diagnosis and treatment of retrobulbar haematomas following blunt orbital trauma: a description of eight cases. Int J Oral Maxillofac Surg 2005;34:127–31.

5. Zimmerer R, Schattmann K, Essig H, et al. Efficacy of transcutaneous transseptal orbital decompression in treating acute retrobulbar hemorrhage and a literature review. Craniomaxillofac Trauma Reconstr 2014;7:17–26.

6. Brucoli M, Arcuri F, Giarda M, Benech R, Benech A. Surgical management of posttraumatic intraorbital hematoma. J Craniofac Surg 2012;23:e58–61.

7. Han JK, Higgins TS. Management of orbital complications in endoscopic sinus surgery. Curr Opin Otolaryngol Head Neck Surg 2010;18:32–6.

8. Sun MT, Chan WO, Selva D. Traumatic orbital compartment syndrome: importance of the lateral canthomy and cantholysis. Emerg Med Australas 2014;26:274–8.

9. Hayreh SS, Weingeist TA. Experimental occlusion of the central artery of the retina. I. Ophthalmoscopic and fluorescein fundus angiographic studies. Br J Ophthalmol 1980;64:896–912.

10. Bailey, L. A., van Brummen, A. J., Ghergherehchi, L. M., Chuang, A. Z., Richani, K., & Phillips, M. E.

of factors related to outcomes. Journal of Plastic, Reconstructive & Aesthetic Surgery, 71(2), 155-161.

42 · OFTALMONEWS
(2019). Visual outcomes of patients with retrobulbar hemorrhage undergoing lateral canthotomy and cantholysis. Ophthalmic Plastic & Reconstructive Surgery, 35(6), 586-589. 11. Christie, B., Block, L., Ma, Y., Wick, A., & Afifi, A. (2018). Retrobulbar hematoma: a systematic review 12. Berg, B. I., Flury, E., Thieringer, F. M., Augello, M., Savic, M., Schötzau, A., & Goldblum, D. (2019). Retrobulbar haematoma in the era of anticoagulants. Injury, 50(10), 1641-1648.

Queratitis por Achromobacter Xylosoxidans

INTRODUCCIÓN

El Achromobacter Xylosoxidans es un bacilo Gram negativo flagelado no fermentador, de presentación poco frecuente, estrechamente relacion ado con el uso de lentes de contacto y queratoplastia previa como principales factores de riesgo. Suele causar queratitis con un inicio en la presentación de los síntomas var iable (rango de 1 a 42 días), con infiltrados corneales centrales o paracentrales, hipopion (25%) y agudeza visual (AV) inicial usualmente <20/100. La mayoría de los casos tienen resistencia intrínseca a antibióticos B-lactámicos, cefalosporinas de 1 y 2da generación, aminoglucósidos y quinolonas. En el presente artículo se describe un caso de queratitis severa por Achromobacter Xylosoxidans que presentó buena respuesta al tratamiento tópico con colirios fortificados de imipenem y colistin.

Según nuestro conocimiento este es el primer caso reportado del uso de imipenem y colistin tópicos para el manejo de una queratitis por Achromobacter Xylosoxidans con un resultado favorable.

PRESENTACIÓN DE CASO

Paciente masculino de 30 años consulta en la Guardia del Hospital Oftalmológico Santa Lucía por presentar ojo izquierdo rojo y doloroso de 45 días de evolución. Desde cuatro semanas previas al momento de la consulta se en -

contraba realizando tratamiento tópico con colirios fortificados de vancomicina 50mg/ml y ceftazidima 50mg/ml sin obtener resultados satisfactorios. Como antecedente relevante fue usuario de lentes de contacto los últimos 5 años.

La AV mejor corregida (AV MC) al inicio fue: en OD 20/20 y en OI BPL. A la BMC se observa OD con pannus corneal periférico, resto s/p. En el OI presentaba eritema y edema bipalpebral, pannus corneal periférico 360°, secreción mucopurulenta, inyección mixta marcada, edema con compromiso corneal total, infiltrado central de 4 x 5 mm de diámetro, con anillo inflamatorio perilesional y adelgazamiento en el extremo superonasal de dicho infiltrado. Se constata hermeticidad del globo ocular. La ecografía constata vítreo libre.

(Figura

1)

Luego de la evaluación inicial en Guardia, se realiza toma de muestra para examen directo y cultivo del infiltrado sembrando en dos portaobjetos, Agar sangre, Sabouraud y Tioglicolato. El paciente había descartado la lente de contacto por lo cual no se pudo examinar bacteriológicamente. Se mantuvo el tratamiento empírico con vancomicina 50mg/ml c/4hs + ceftazidima 50mg/ml c/2hs y se agrega fluconazol 2mg/ml c/ 2hs +amikacina 50mg/ml c/2 hs a la espera del antibiograma.

A los 5 días se obtuvieron los resultados de laboratorio:

44 · OFTALMONEWS CASOS CLÍNICOS
Autores: Dr. Jorge Banegas (Jefe del Servicio de Infectología); Dra. Paula Albera, (Médica del Servicio de Infectología y Superficie Ocular); Dra. Jessica Soto Laguna. Hospital Oftalmológico Santa Lucía.

Achromobacter Xylosoxidans sensible a ceftazidima, ceftazidima-clavulánico, meropenem, imipenem, colistin. Resistente a cefepime, ciprofloxacina, gentamicina, amikacina. Con estos resultados el paciente es remitido al servicio de infectología donde se sospecha coinfección con Acanthamoeba por el tipo de infiltrado, el anillo inflamatorio y el antecedente de uso de lentes de contacto. Ante dicho diagnóstico se indica tratamiento con vancomicina cada 4hs, ceftazidima cada 2hs, voriconazol 1% cada 2 hs, PHMB 0,02% cada 2hs, atropina 1% cada 8hs. Por falta de recursos no se puede iniciar tratamiento con imipenem. Se cita a control en una semana

En el segundo control se observa mayor densidad del infiltrado y aspecto más supurativo, medidas 4x5 mm, sin adelgazamiento corneal visible. El paciente refiere continuo ardor y sensación de quemazón en párpados, en especial al instilar gotas del frasco rotulado “vancomicina”. Se decide suspender la misma por presunta toxicidad. Se indica: moxifloxacina cada 6 hs, ceftazidima cada 4 hs, PHMB 0,02% cada 2hs, voriconazol 1% cada 2hs, imipenem 5mg/ml cada 2hs, colistin 10mg/ml cada 2hs y atropina cada 8hs. Se cita a control en una semana.

Luego de dos semanas de tratamiento y controles semanales, el paciente refirió gran mejoría sintomática; el infiltrado se redujo de tamaño (4x4 mm), mostraba bordes más definidos. Debido a la buena respuesta al tratamiento con los colirios fortificados de imipenem y colistin y basándonos en el antibiograma y cultivos, se continúa el tratamiento con imipenem cada 2hs, colistin cada 2hs, moxifloxacina y ceftazidima cada 6 hs y atropina cada 8hs.

Un mes después de iniciado el tratamiento mencionado, se observa paulatina reducción del tamaño del infiltrado a 3 x 2,5 mm con bordes netos, vascularizado en la parte superior e inyección conjuntival leve. Ya no presentaba eritema en párpados.

OFTALMONEWS · 45
(Figura 2) (Figura 3)

Queratitis por Achromobacter Xylosoxidans

(Figura 4)

Dos meses después de iniciado tratamiento con colirios fortificados de imipenem y colistin el paciente presentaba un leucoma de 4.5x5mm vascularizado, sin signos de infección activa, con una AV MC OD de 10/10 y en OI bultos.

(Figura 5)

Se suspende el tratamiento tópico y se deriva al Servicio de Córnea para eventual queratoplastia.

DISCUSIÓN

El Achromobacter Xylosoxidans es un bacilo gram negativo no fermentador que puede confundirse con la Pseudomona por la asociación a uso de lentes de contacto y en el análisis directo de la muestra, pero es menos virulento que la misma, lo cual puede llevar a la demora en la consulta del paciente y por lo tanto en el diagnóstico de certeza. Además, presenta resistencia a la mayoría de los antibióticos utilizados en forma empírica (fluoroquinolonas y aminoglucósidos), lo cual implica a su vez demora en el inicio de un tratamiento adecuado.

Generalmente se presenta con un infiltrado denso, supurativo, con o sin anillo inflamatorio perilesional en pacientes con antecedentes como el uso de lentes de contacto (28.6%) o queratoplastia previa (28.6%).

CONCLUSIÓN

Es importante tener en cuenta al Achromobacter Xylosoxidans como factor causal de queratitis infecciosas asociadas a uso de lentes de contacto que no responden a los antibióticos habitualmente utilizados para gram negativos (ciprofloxac ina, tobramicina, gentamicina), ya que la demora en el diagnóstico lleva a un retraso en el inicio de tratamiento correcto y finalmente a un peor pronóstico visual. Consideramos que el paciente en el caso expuesto, de haber iniciado más tempranamente un tratamiento adecuado, hubiese tenido un pronóstico más favorable.

Referencias bibliográficas:

1. Spierer O ét al. Clinical Features, Antibiotic Susceptibility Profiles, and Outcomes of Infectious Keratitis Caused by Achromobacter xylosoxidans. Cornea. 2016 May;35(5):626-30.

2. Tavassoli S, Gunn D ét al. The successful treatment of a multidrug-resistant Achromobacter xylosoxidans corneal ulcer with topical meropenem MJ Case Rep. 2018 Jul 18;2018.

3. Anxo Fernández-Ferreiro ét al. Evaluation of the in vitro ocular toxicity of the fortified antibiotic eye drops prepared at the Hospital Pharmacy Departments. Farm Hosp. 2016;40(5):352-370

4. Lee B, Cai CX, Srikumaran D, Woreta FA ét al. Severe Achromobacter xylosoxidans keratitis with deep corneal involvement. Am J Ophthalmol Case Rep. 2018 Jun 20;11:128-130.

5. Spierer O, Miller D, O'Brien TP ét al. Comparative activity of antimicrobials against Pseudomonas aeruginosa, Achromobacter xylosoxidans and Stenotrophomonas maltophilia keratitis isolates. Br J Ophthalmol. 2018 May;102(5):708-712.

CASOS CLÍNICOS 46 · OFTALMONEWS

ÓPTICA Y OFTALMOLOGÍA

Menos miopía, más futuro

El día 17 de noviembre de 2022 se celebró en la ciudad de Mendoza el VI Congreso de la SAOI–CAE. Entre las novedades que se presentaron está la iniciativa “Menos Miopía, más futuro”, el 1er Encuentro Nacional de Investigadores, Desarrolladores e Industria, para abordar de manera segura y efectiva el manejo de la miopía.

Menos Miopía la integramos una comunidad de profesionales, empresas y organismos en Argentina unidos con el propósito de concientizar y buscar so-

luciones para contrarrestar el avance de la miopía. Los cuales aúnan recursos y conocimientos del sector, desde las distintas áreas que lo componen,

¿Quiénes iniciaron este proyecto intersectorial?

La decisión de empezar a trabajar a nivel nacional en un proyecto para la prevención de la miopía se fue gestando entre varias personas.. El Dr. Rafael Iribarren, Dr. Abel Szeps, Dr. Carlos KotliK, Dr. Roger Zaldivar, Dra. Liliana Laurencio, Santiago Repetto y Martín De Tomás de Internacional Óptica y Oftalmología, Mauro Stabile y Gabriel Martín de

¿Cuándo empezó a gestarse “Menos Miopía”?

Podemos decir que la primera acción que realizó esta comunidad, sin saberlo, se dió justamente en la Ciudad de Mendoza durante el año 2019 bajo el nombre “El desafío de la mirada”. Contó con una revisión primaria que permitió recabar información concreta acerca de cómo estaban viendo más de 2000 estudiantes, verificar si se reflejaba la misma tendencia en el alza global de la miopía que alarma

para llevar a cabo acciones de investigación y desarrollo que faciliten intervenir en la problemática de una manera accesible y segura.

NOVAR y Ricardo Impagliazzo de la Cadena de Ópticas La Pirámide.

La intención a partir de la presentación oficial de la iniciativa es sumar o mejor dicho que quieran sumarse muchos de quienes son partícipes y referentes activos en los diferentes ámbitos de la salud visual.

a los principales organismos de la salud y promover una campaña de concientización tangible y práctica sobre el cuidado de la salud visual.

Fue el Primer Censo Universitario visual que se desarrolló en el conjunto de universidades que integran la UNIVERSIDAD NACIONAL DE CUYO (UNCuyo).

48 · OFTALMONEWS
Martín De Tomás, Óptico técnico y contactólogo Content Manager en Internacional Óptica y Oftalmología.

¿Quiénes

participaron de esta acción?

La cadena de ópticas Mendocina La Pirámide fue la que ideó y llevó adelante el emprendimiento. Visión Superior-Oftalmología Zaldivar se encargó del armado, procedimientos y supervisión de todo lo relacionado con la toma de AV. Internacional Óptica y Oftalmología colaboró en la experiencia visual que hizo tangible a los participantes la importancia de contar con un lente que no solo dé solución a un problema refractivo, sino que también prevenga a corto y largo plazo de radiaciones nocivas al sistema visual. Del sector gubernamental Universidad Nacional de Cuyo (UNCuyo) y Municipalidad de la Ciudad de Mendoza autorizaron y facilitaron la logística de armado en las diferentes universidades e incluso, participaron de la experiencia el

Subsecretario de Gestión Pública y Modernización del Estado e intendente electo de la Ciudad de Mendoza, la Secretaria de Modernización y Medios de la Ciudad de Mendoza, Nora Vicario, y el rector de la UNCUYO, Daniel Pizzi. Del sector oftalmológico en el área de Investigación el Dr. Rafael Iribarren, quien, al analizar la información y basándose en su experiencia en este tipo de acciones, sumó a los doctores Carlos Kotlik, Abel Szeps y Roger Zaldívar para trabajar en conjunto en la presentación del primer informe sobre la prevalencia de miopía en una población universitaria latinoamericana. Además del excelente resultado, la acción derivó en el primer artículo sobre la prevalencia de Miopía en estudiantes universitarios en Argentina.

Había equipo y ganas de seguir trabajando, las charlas y reuniones derivaron en la posibilidad de intervenir en la problemática diseñando y fabricando en el país lentes aéreos con características similares a las que estaban dando los mejores resultados en el mundo en lo que respecta al manejo seguro de la miopía.

Por primera vez, al menos en lo que a mí respecta, médicos oftalmólogos e industria se encontraban trabajando en el desarrollo de una lente oftálmica en nuestro país.

En que terminaron las charlas… El Vol. 15 Núm. 2 (2022)de la revista OCE presentaba:

Investigación y Desarrollo OFTALMONEWS · 49

ÓPTICA

Y OFTALMOLOGÍA

NOVAR se suma al equipo

Fueron dos los diseños presentados por Internacional Óptica y Oftalmología. Uno de ellos precisaba para poder asegurar las zonas de visión nítida, transición y desenfoque correctas en el momento de la producción, el aporte y la tecnología del tallado digital. Llegaba el momento de sumar a NOVAR al equipo, quien desde 2008 trabaja con profesionales argentinos del sector de la física, las matemáticas, la ingeniería informática y especialistas en computación científica, para el diseño de lentes oftálmicos que hoy se exportan a todo el mundo. Pocos meses después, Rafael Iribarren y Abel Szeps presentaban en la 18.ª Conferencia Internacional sobre Miopía en el mes de septiembre en Róterdam, el diseño y sus primeros números.

En los principales congresos que se fueron dando durante 2022, el grupo de profesionales que integran “Menos Miopía” estuvo presente adelantando todas estas novedades junto a muchos más profesionales dispuestos a sumarse a esta causa.

El VI Congreso de la SAOI–CAE en Mendoza, encontró al grupo “Menos Miopía, más futuro”, con stand propio. Investigadores, desarrolladores e Industria juntos para colaborar en ralentizar el avance de la miopía y tomar impulso para un 2023 con mucho trabajo por hacer.

Los que no salieron en la foto: las Dras. María Marta Galán, Liliana Laurencio, Maria Florencia Cortinez, Alejandra Lurescia y Gabriela Rodríguez. Los Dres. Carlos Kotlik, Rodolfo Aguirre, Rubén Danza, y Sebastián Dankert. Del lado de la Física: Gabriel Martín. Y de la Óptica y Contactología, Enzo Iriarte y Juan Manuel Suárez.

Pido disculpas si se me olvida mencionar a alguien que haya colaborado con este grupo y aprovecho para invitar a quién quiera sumarse o saber más sobre “Menos Miopía, más futuro” a visitar: www.menosmiopia.com.ar

Menos miopía, más futuro 50 · OFTALMONEWS
Los que salieron en la foto, de izquierda a derecha: Dr. Leonardo Fernández Irigaray, Dr. Abel Szeps, Ricardo Impagliazzo de la cadena de ópticas mendocina, la Pirámide, Martín De Tomás y Santiago Repetto de Internacional, Dra. Carolina Picotti, Dr. Rafael Iribarren, Mauro Stabile de Novar y Guillermo Saracco de la cadena de ópticas porteña Saracco.

En la publicación de septiembre de 2021, en esta misma sección de Oftalmonews , mostrábamos los diseños en lentes aéreos que colaboraban en ralentizar la miopía y comentábamos, para cerrar la nota, que habíamos comenzado a trabajar en un proyecto conjunto referente a este tema con varios actores del sector. Uno de los resultados de ese trabajo en equipo que se pueden ver hoy, es la nueva propuesta en lentes aéreos: Majestic Myopia .

“Sean cuales fueran los diseños que estén disponibles, sería bueno que estos lentes empiecen a recomendarse en consultorios y ópticas, ya que si continuamos dándole el visto bueno al gráfico de Charman, cualquier lente negativo aéreo monofocal esférico adaptado para un niño miope al mismo tiempo que corrige el error refractivo estaría estimulando el avance de la miopía.”

Este fue el anteúltimo párrafo de la nota publicada en septiembre de 2021, “Colaborar en ralentizar la miopía con lentes aéreos”

Resumiendo el contenido de dicha publicación, podemos decir que a partir del estudio de Charman en 20101, los primeros diseños de lentes aéreos intentaban compensar el desenfoque periférico que se daba por detrás de retina con una adición por donde el usuario pudiera ver al utilizar la visión de cerca ( Executive prismatic bifocal 2 , Progressive addition lens y Peripheral hipermetropia reduction lens 3). En contraposición, en los últimos diseños como el de Carly Lam D.I.M.S. (Defocus Incorporated Multiple Segments4), H.A.L.T. (Highly Aspherical Lenslet Target) y D.O.T. ( Diffusion Optics Technology 5 ), el conjunto de múltiples lentillas o la baja de contraste por medio de filtros tipo Bangerter no buscaban justamente que el usuario vea con nitidez a través de ellos, sino todo lo contrario. Ya sea por desenfoque o baja de contraste, el objetivo terminaría siendo emborronar la periferia foveal.

Un punto a tener en cuenta, para aquellos que no leyeron o no recuerdan la nota, es que en el caso de DIMS y HAL, más allá de la distinta distribución de las pequeñas lentillas de desenfoque, el concepto manejado en ambos es el mismo:

una zona central de visión óptima de solo 9 mm con la prescripción del paciente y a partir de ahí múltiples lentillas de solo 1 mm con una adición de +3.50 dp. Estas son las encargadas de desenfocar toda la periferia actuando como un múltiple estenopeico invertido. Saliendo de los 9 mm centrales, el usuario ve en realidad solo por los espacios que quedan entre las lentillas, en los cuales mantiene la prescripción de lejos.

En cambio, en el caso del DOT, se mantiene la zona central en los 9 mm, pero, en la periferia, el emborronamiento responsable de colaborar con la ralentización de la miopía, no se da por desenfoques individuales sino por un filtro esmerilado tipo Bangerter. La razón de buscar reducir el contraste para ralentizar el crecimiento axial surge de la hipótesis que sugiere que el alto contraste retiniano estimula al ojo para crecer, en cambio, la reducción del contraste retrasaría el crecimiento axial y evitaría la progresión de la miopía.

EMPRESAS
52 · OFTALMONEWS

Todavía hoy, seguimos esperando que estas tecnologías arriben a la región.

El último párrafo que cerraba la publicación de aquel septiembre de 2021 decia:

“Lo importante para cerrar la nota es que el zoom con Rafael no fue en vano. Hoy nos encontramos trabajando en un proyecto conjunto respecto a este tema diferentes actores del sector en Argentina: importadores de materias primas, empresas nacionales de software en diseños digitales, cadenas de ópticas y médicos oftalmólogos. Sea cual sea el resultado al que se llegue, el trabajo en equipo en las áreas de desarrollo, investigación e innovación entre las distintas partes involucradas ya es una excelente noticia”.

Uno de los resultados del trabajo en conjunto entre este grupo interdisciplinario pasado casi dos años es la presentación al mercado de Majestic Myopia

La propuesta de los lentes aéreos Majestic Myopia fusiona los conceptos DIMS y DOT teniendo en cuenta además el corte espectral necesario para intervenir la progresión infantil de la miopía por todas las aristas posibles.

Es un diseño de múltiples segmentos de difusión D.O.M.S. que son los encargados de emborronar la periferia de la fóvea. Trescientos doce círculos esmerilados de 1 mm de diámetro que rodean la zona de visión nítida y central de 9 mm, que reducen el contraste en la periferia de la fóvea sin presentar limitaciones que afecten al campo visual. El gráfico de la distribución de los segmentos de difusión del diseño DOMS se presentaba junto a otro diseño en la sección Comunicaciones breves de la revista Oftalmología clínica y experimental del mes de junio de 2022.6

Majestic Myopia también tiene en cuenta que el rol que juegan los ultravioletas y el espectro visible de alta energía en el sistema visual7 es una de las causas por la que el mayor tiempo al aire libre es beneficioso para tratar la miopía infantil. Por esta razón, y solo en el caso de niños y jóvenes miopes, el material y los tratamientos superficiales de los diseños de lentes para control miopía no deberían tener un corte espectral mayor a los 360 nm. Que no sé malinterprete, esto no significa no proteger con un

buen lente solar a los niños en condiciones de sobreexposición a las radiaciones, como es el caso de días y horarios con elevados niveles de UV e IR, playa, nieve, alta montaña, etc.

La tecnología Full Spectrum de Majestic Myopia permite el paso de espectro a partir de los 360 nanómetros.

A partir de abril de 2023, Majestic Myopia estará disponible en la región. Para los interesados en contar con este diseño entre sus herramientas disponibles para tratar la miopía de sus pacientes y recibir información sobre cursos y capacitaciones, pueden escribir a:

Info@magesticmyopia.com

Más información en: majesticmyopia.com

1. Charman N, Radhakrishnan H. Peripheral refraction and the development ofrefractive error: a review. Ophthal. Physiol. Opt. 2010 30:326–328

2. Cheng D, 4et al. Effect of Bifocal and Prismatic Bifocal Spectacles on Myopia Progression in Children. JAMA Ophthalmol. 2014 Mar; 132(3):258-64.

3. Kanda H, et al. Effect of spectacle lenses designed to reduce relative peripheral hyperopia on myopia progression in Japanese children. Jpn J Ophthalmol. 2018 Sep; 62(5):537-543.

4. Lam C, et al. Defocus Incorporated Multiple Segments (DIMS) spectacle lenses slow myopia progression. Br J Ophthalmol. 2020 Mar; 104(3):363-368.

5. Rappon J,et al. Control of myopia using diffusion optics spectacle lenses. Br J Ophthalmol 2022;0:1–7

6. De Tomás M, et al. Nuevos anteojos para control de la miopía. Oftalmologia Clinica y Experimental. 2022;15(2):240.

7. Mori k, et al. Effect of Violet Light-Transmitting Eyeglasses on Axial Elongation in Myopic Children: A Randomized Controlled Trial. J Clin Med. 2021 Nov; 10(22): 5462

OFTALMONEWS · 53

Miomas colgantes de la piel: qué son, sus causas y cómo eliminarlos

Las etiquetas de piel son pequeños tumores benignos. Son muy comunes y se forman debido a un aumento excesivo en el número de ciertas células del cuerpo, los fibroblastos. Se estima que casi la mitad de la población mundial tiene al menos una. Las etiquetas de piel son generalmente pequeñas (entre 1 a 5 mm, a veces incluso más grandes) y su color es ligeramente más oscuro que la piel circundante.

Los papilomas cutáneos suelen aparecer en la piel del cuello, la axila y la ingle, así como en los brazos y los párpados. Su predisposición para sobresalir de la piel y, según la posición, también a "colgarse" hacia abajo es la razón por la que se denominan "péndulo". En sí mismos no son peligrosos, pero pueden causar molestias y muchas veces representan una mancha que no es tolerada por los pacientes. Por esta razón, una de las solicitudes más comunes al médico se refiere a la eliminación de estos papilomas cutáneos.

Aunque las causas de la etiqueta de piel no se conocen completamente, se ha observado que es un fenómeno típico de la edad adulta. Es más frecuente en mujeres, especialmente a partir de los 50 años o coincidiendo con la menopausia. Además, el roce que dan los pliegues de la piel puede contribuir a la formación de miomas. Otros estudios también han demostrado un aumento en la probabilidad de que puedan ocurrir en sujetos diabéticos (diabetes mellitus tipo 2).

A diferencia de otras neoformaciones de la piel, los miomas no son peligrosos ni contagiosos. Sin embargo, pueden llegar a ser molestos si surgen

en zonas donde se pueden producir roces, pueden inflamarse y caerse espontáneamente.

Los tratamientos para eliminar las verrugas cutáneas son diferentes y varían desde la "clásica" eliminación mediante cirugía, que también implica la aplicación de puntos de sutura después de la intervención, hasta la crioterapia o la aplicación de nitrógeno líquido sobre el fibroma.

Una “pequeña gran revolución” en este tipo de tratamientos la ha supuesto Plexr®, un dispositivo médico producido por GMV. Con Plexr® es posible eliminar los miomas en péndulo presentes en cualquier región del cuerpo en unos instantes, sin anestesia y sin puntos.

Plexr® es un dispositivo médico paten-

tado internacionalmente producido por GMV. El principio de funcionamiento se basa en la producción de un haz de plasma muy pequeño que, en contacto con la piel y con la zona a tratar, es capaz de eliminar el exceso de piel.

En estos casos, Plexr® actúa eliminando por completo y casi instantáneamente el propio fibroma. Además, la energía del plasma generado se concentra en la zona a tratar, por lo que no se produce transmisión de calor a los tejidos circundantes, como puede ocurrir, por ejemplo, en los tratamientos con láser. No hay efectos secundarios en el tratamiento de las marcas en la piel con Plexr®: el paciente puede reanudar sus actividades de inmediato.

Fuente: https://gruppogmv.com/lifting-non-chirurgico/

EMPRESAS
54 · OFTALMONEWS

Turn static files into dynamic content formats.

Create a flipbook
Issuu converts static files into: digital portfolios, online yearbooks, online catalogs, digital photo albums and more. Sign up and create your flipbook.