OftalmoNews_Nº55-NOV-2025

Page 1


Estimados lectores:

Llegamos una vez más al cierre de un ciclo en el que el contacto permanente a través de estas páginas sella nuestro compromiso con ustedes, los médicos y médicas oftalmólogas que colaboran desinteresadamente con el envío de sus trabajos, y con nuestros anunciantes, que confían en nosotras después de tantos años y dan cuenta de la seriedad de nuestro trabajo acompañándonos en cada edición de Oftalmonews .

En esta ocasión dedicamos la tapa a Santa Lucía “protectora de la visión” y saludamos a todos los profesionales en su día – 13 de diciembre – quienes velan por la salud visual y una mejor calidad de vida de los pacientes. Como adelanto les dejamos algunos títulos de este último número del año: “Degeneración reticular y fotopsias; Degeneración Corneal Nodular de Salzmann; Ambliopía y Ojo Vago; Distrofia endotelial de Fuchs, Oclusión de rama arterial retiniana secundaria a procedimiento estético y las Perlas de la AAO 2025 por el Dr. Ramiro Daud; artículos que además serán publicados en la cuenta de IG @oftalmo.news que ya todos Uds. conocen, disfrutan y comparten.

Les deseamos Felices Fiestas y los esperamos en marzo del 2026.

Las Editoras

Distinción para Roger Zaldívar

El Dr. Roger Zaldívar fue distinguido este mes de noviembre con la Mención de Honor al Valor Científico 2025 del Senado Nacional por su incansable dedicación en el campo de la salud visual.

Internacional celebró sus 30 años

junto a referentes del sector óptico y oftalmológico

El pasado viernes 31 de octubre, Internacional celebró su 30º aniversario con un evento memorable en el Yacht Club Puerto Madero. Más de 300 invitados —entre ópticos, oftalmólogos, laboratorios, distribuidores y proveedores— se dieron cita para compartir un momento único y celebrar tres décadas de crecimiento, innovación y compromiso con la excelencia. Durante la noche, los asistentes disfrutaron de

una experiencia dinámica y distendida que reflejó el espíritu de la compañía. La combinación de entretenimiento, emoción y camaradería convirtió el encuentro en una verdadera fiesta del sector. En su mensaje, la dirección de Internacional agradeció el acompañamiento y la confianza de todos los profesionales y aliados que formaron parte de este recorrido, destacando la importancia del trabajo

conjunto que permitió consolidar a la empresa como referente del mercado óptico y oftalmológico en Argentina. A lo largo de estos 30 años, Internacional ha mantenido una visión clara: impulsar la evolución del sector con productos de vanguardia, soluciones integrales y un servicio orientado al crecimiento de sus clientes. Este aniversario no solo celebra una historia sólida, sino que reafirma un compromiso hacia el futuro: seguir innovando, fortaleciendo vínculos y aportando valor a toda la comunidad óptica y oftalmológica.

OftalmoNoticias

OCULUS Pentacam® Cornea OCT: la nueva era del diagnóstico corneal con Ultra Alta Resolución

A pocos meses de su presentación en el mercado, el Pentacam ® Cornea OCT de OCULUS se posiciona como una herramienta esencial para los médicos oftalmólogos especialistas en córnea, llevando la precisión diagnóstica a un nivel superior. Este sistema es una integración revolucionaria que combina la consolidada tomografía de Scheimpflug con una escaneo OCT pericéntrico de alta resolución en una única exploración.

Develando lo invisible:

La capacidad de obtener imágenes de la microestructura de la córnea con una resolución de 1,9 μm en una sola medida permite a los profesionales acceder a detalles que eran imposibles de visualizar antes como la medición precisa y automática del grosor epitelial, un parámetro que se ha vuelto fundamental para la detección subclínica de ectasias corneales y la correcta evaluación del riesgo ectásico post-LASIK.

El sistema permite ahora el estudio estratificado y detallado de cada capa corneal:

• Película Lagrimal: La evaluación de su calidad es crucial para optimizar la planificación refractiva y el manejo del ojo seco.

• Epitelio Corneal: Su mapeo detallado es clave para seguir los cambios ectásicos tempranos y la cicatrización post-quirúrgica.

• Capa de Bowman: Sirve como un marcador esencial de la integridad estructural y del progreso del queratocono.

• Estroma+: Sus datos son vitales para el diagnóstico de queratocono avanzado, el edema corneal y la evaluación de la estabilidad biomecánica.

Seguridad quirúrgica:

La simultaneidad de las mediciones de OCT y Scheimpflug son la clave de la innovación. Ambas se toman en los mismos puntos de la córnea, eliminando errores de alineación y ofreciendo una visualización inmediata y detallada de todas las anomalías estructurales en un tiempo de adquisición de tan solo un segundo.

Esto se traduce directamente en un enfoque diagnóstico multimodal que impacta significativamente en la toma de decisiones clínicas y quirúrgicas:

• Cirugía Refractiva: Permite la integración del análisis de capas (epitelio, Bowman), la geometría corneal y la información biomecánica para una estratificación de riesgos sin precedentes.

• Diagnóstico y Seguimiento: Combina el análisis tomográfico estándar con el mapeo epitelial, proporcionando una base sólida para la planificación terapéutica y la monitorización de enfermedades.

• Planificación de LIO: Asegura la máxima fiabilidad en los datos de las superficies corneales anterior y posterior para un cálculo preciso de la potencia de la LIO, especialmente relevante en córneas complejas o post-quirúrgicas.

Integración y Compatibilidad:

Una de las mayores ventajas del Pentacam ® Cornea OCT es su total compatibilidad con las versiones previas de Pentacam ® , permitiendo a los profesionales realizar seguimientos de exámenes realizados con modelos anteriores y garantizando la trazabilidad de los datos.

Con una mayor precisión diagnóstica y resultados más predecibles, el Pentacam® Cornea OCT se establece como una herramienta esencial para elevar el estándar de seguridad y eficiencia en la oftalmología.

Para más información póngase en contacto con OMNI SRL: info@omnisrl.com

Ambliopía, causas y tratamiento dicóptico: actualización y fundamentos

Resumen

La ambliopía es una afección del desarrollo visual que resulta en disminución de la agudeza visual y alteración de la función binocular. Reconocer las causas es de suma importancia para realizar la terapéutica en tiempo y forma, de otra manera una vez instalada realizar el tratamiento adecuado, siendo la modalidad dicóptica la alternativa complementaria a la oclusión tradicional, ya que presenta estímulos diferenciados a cada ojo. Esta revisión sintetiza la fisiopatología, las modalidades terapéuticas, la evidencia clínica y las perspectivas futuras. Palabras clave: ambliopía; terapia dicóptica, visión binocular.

La ambliopía etimológicamente procede del griego Amblus: débil y Opsis: visión ("ojo vago, ojo perezoso") es la alteración del desarrollo visual más frecuente en la infancia, con una prevalencia aproximada de 2–4% en la población general. Es un déficit de la agudeza visual sin causa estructural ocular, resultado de una estimulación anormal durante el desarrollo, se produce una falta de consolidación consecutiva a la carencia de estímulos, o la presencia de un estímulo inadecuado o insuficiente, en el período crítico de desarrollo.(1)

Últimas investigaciones reportan que la plasticidad neuronal continúa en edades mayores. Tradicionalmente, el tratamiento se centraba en la corrección óptica y la oclusión del ojo dominante. Sin embargo, dichas estrategias presentan limitaciones en términos de adherencia y restauración de la visión binocular , lo que ha promovido el desarrollo de terapias binocularmente dirigidas, entre las que destaca la terapia dicóptica.

Fisiopatología y fundamento neurobiológico

Durante el periodo crítico la corteza visual depende de una estimulación equilibrada en ambos ojos. Si un ojo esta menos estimulado, las neuronas de la corteza favorecen al ojo dominante y las conexiones se debilitan alterando la sinapsis.(2) Se debe corregir la causa y comenzar la terapéutica adecuada para que las sinapsis se reorganicen y se recuperen las funciones.

Se denomina período crítico al lapso de tiempo posnatal durante el cual la corteza es lo suficientemente lábil como para adaptarse a las influencias derivadas de la experiencia o del medio ambiente. En la etapa de maleabilidad hay gran facilidad para ganar pero también para perder función.(3)

Introducción

Ambliopía, causas y tratamiento dicóptico: actualización y fundamentos.

Una vía visual indemne es fundamental para el desarrollo visual, la cual comienza en las células ganglionares de la retina, de los fotorreceptores pasan a las células bipolares que son las conectoras con las células ganglionares. La vía y la corteza visual son las encargadas no solo de la transmisión y la interpretación básica de los estímulos visuales, sino también de su percepción y asociación de alto orden.

Fig. 1 Existen 2 vías visuales:

MAGNOCELULAR a través de las células alfa.

PARVOCELULAR a través de las células beta

1. Vía visual.

Las de tipo P (parvocelulares) equivalen al 90% de las células ganglionares y establecen sinapsis con una sola neurona bipolar tipo cono, principalmente en la mácula. Las de tipo M (magnocelulares) se conectan con varias células ganglionares tipo bastón. La via visual hace escala en el cuerpo (o núcleo) geniculado lateral que es el centro transmisor primario que recibe directamente la información visual procedente de las células ganglionares de la retina vía tracto óptico, esta laminado en 6 capas siendo la capa 1 y 2 Magnocelulares y desde la 3 a la 6 son Parvocelulares; las

ipsilaterales pertenecen a la capa 2, 3 y 5, mientras que las contralaterales son 1,4 y 6, estas vías no se mezclan hasta llegan hasta la corteza visual. Fig. 2

Figura 2. Cuerpo geniculado lateral disposición de las fibras Magno(Amarilla) y parvocelulares (naranja). Ipsilateral circulo, contralateral cruces.

En la corteza llegan al area V1 4 a y VI 4 b como vías separadas, y recien en la corteza V2 (áreas 18 y 19) es donde se entremezclan ambas vías Fig. 3 , desarrollándose en esta localización las funciones visuales: agudeza visual, visión cromática, estereopsis y sensibilidad al contraste.

Figura 3. Corteza visual V1.

De acuerdo con esto se establecen el sistema parvocelular, circuito que tiene menor campo receptor, percepción de la visión de altas y bajas frecuencias espaciales, del color y con el mantenimiento de las vergencias pero gran discriminación y resolución visual, representando principalmente la

Historia de la PBM
Figura

Ambliopía, causas y tratamiento dicóptico: actualización y fundamentos.

visión macular. El sistema magnocelular, que tiene un mayor campo receptor, pero menor capacidad discriminativa, se desarrolla más precozmente y es la responsable de la percepción del movimiento, movimiento de seguimiento y el comienzo de las vergencias. Estas propiedades hacen que el primero se encargue del procesamiento del color, la forma y el detalle de la escena, y el segundo de la localización y el movimiento de la imagen

Las neuronas especializadas se encargan del procesamiento visual de los objetos, incluyendo la forma y el color. Esta vía también se denomina «ruta del qué», y extrae características invariantes de un objeto visto que permiten la constancia perceptual en circunstancias variables. La «ruta del dónde» son áreas que procesan la información en latencias cortas, por lo que también se ha propuesto llamarla cerebro rápido, y su protagonismo está implicado en el análisis del movimiento. Lesiones a este nivel se manifiestan como agnosias visuales.

La lesión de V4 causa acromatopsia cortical, que produce déficit en la visión cromática y suele ser de origen traumático o vascular isquémico. La lesión de V5 deriva en acinetopsia, con pérdida de la percepción del movimiento. Tanto V3 como V4 participan en la percepción de las formas, por lo que las lesiones aisladas de V3 no suelen manifestarse como problemas de discriminación de las formas.

En la corteza hay un alto nivel de organización y representación retinotópica, necesario para los procesos de interpretación y percepción visual. La información visual está representada en más de 30 zonas distintas de la corteza cerebral que se conectan entre sí, formando una red global cortical de la visión.

La terapia dicóptica mejora no solo la agudeza visual sino que también actúa en los procesos de interpretación y mejora sustancialmente la percepción visual del color, luminosidad, profundidad, orientación, formas, contrastes y principalmente la estereopsis.

Para el desarrollo normal motor y sensorial de la visión binocular es necesario que estímulos semejantes provenientes de ambos ojos lleguen simultáneamente a la corteza visual en el momento adecuado. Si así no sucede éstas 2 vías no se desarrollarán armónicamente en ambos ojos. Se basa en este principio el tratamiento Dicóptico.

Awaya y Miyake(4) mostraron que la vulnerabilidad en seres humanos aumenta desde uno o dos meses después del nacimiento hasta los 18 meses, disminuyendo entonces gradualmente hasta el final del octavo año de vida. También observaron que la oclusión de un ojo durante una semana después del nacimiento no produce ambliopía; por este motivo las tan frecuentes hemorragias maculares del parto no ambliopizan. Estudios actuales evidencian que la neuroplasticidad continua a edades mayores.

Diagnóstico y evaluación funcional

La evaluación incluye refracción bajo cicloplejía, medición de agudeza visual monocular y binocular (logMAR), pruebas de supresión (Worth, Bagolini) y evaluación estereopsis, motilidad ocular, fondo de ojos. Los tratamientos activos novedosos y emergentes para la ambliopía incluyen el entrenamiento dicóptico, la realización de tareas de aprendizaje perceptual o los videojuegos de acción(5). La ambliopía se caracteriza por supresión cortical del ojo afectado y pérdida de fusión, procesos que implican alteraciones en la plasticidad sináptica en áreas visuales tempranas. Los enfoques dicópticos buscan reequilibrar la entrada interocular mediante manipulación de contraste y presentación segmentada de estímulos, promoviendo la cooperación binocular y reduciendo la supresión.(6) Fig. 4

Figura 4. Fundamento del tratamiento dicóptico.

OFTALMOLOGÍA GENERAL

Ambliopía, causas y tratamiento dicóptico: actualización y fundamentos.

Causas de ambliopía

El estrabismo es la consecuencia más importante de la ambliopía siendo la causa más frecuente los vicios o errores de refracción.

• Ambliopía Estrábica

El estrabismo que más riesgo tiene de presentar ambliopía es la esotropía permanente no alternante. Fig 5, no solo tiene consecuencias estéticas, sino que también entraña importantes alteraciones sensoriales y motoras, y de la Visión Binocular.(7)

Para evitar estas anomalías sensoriales, en los niños menores de 6-8 años de edad (debido a su plasticidad cerebral) se ponen en marcha mecanismos cerebrales de adaptación, siendo el más frecuente la supresión (o inhibición de las áreas de retina del ojo desviado en las que se desarrolla la diplopía y la confusión), de forma que el cerebro deja de percibir la imagen del ojo desviado. Si esta supresión se produce siempre en el mismo ojo provoca ambliopía en el ojo desviado.

El estudio de la refracción y la prescripción de lentes es el primer paso en el tratamiento de todo estrabismo. Se realiza bajo cicloplejía con ciclopentolato, se indica el uso permanente y total de la corrección. Si a pesar de esto existe dominancia de un ojo indicamos oclusión del ojo director.

• Ambliopía por Vicios de Refracción

Es una reducción de la agudeza visual, que se produce por errores de refracción en los casos bilaterales con defectos elevados no corregidos y en los unilaterales cuando hay diferencia entre 1 ojo y otro, en la miopía mayor de 3D, en hipermetropía y astigmatismo mayores de 2 D.(8)

La prescripción de lentes en los niños se realiza principalmente para prevenir una ambliopía uni o bilateral, para corregir estrabismos y/o para preservar la visión binocular.(9)

Es de suma importancia conocer los antecedentes personales como prematurez, historia familiar, evaluar el comportamiento del paciente, conocer la agudeza visual en los niños preverbales mediante la fijación y el seguimiento o con el test de mirada preferencial, con cartel lighthouse o con los convencionales en los niños verbales. Fig 6

La corrección completa de la ametropía esférica y cilíndrica, determinada bajo cicloplegia, constituye la primera etapa. A continuación empezará el tratamiento de la ambliopía en sí, ya sea empezar con penalización con atropina en las profunda, oclusión y en niños mayores Dicóptico. (10)

Dividiremos a los pacientes de acuerdo a la edad para considerar la prescripción de lentes para evitar ambliopía considerando que el niño no padece otro trastorno (11) .

Figura 5. Esotropía.
Figura 6. Evaluación de la Agudeza Visual.

OFTALMOLOGÍA GENERAL

Ambliopía, causas y tratamiento dicóptico: actualización y fundamentos.

• Ambliopía por Deprivacion Sensorial

Representa el 10% de las ambliopías en el niño. Puede ser unilateral o bilateral. Cuanto más pequeño el niño y mayor tiempo de deprivación, mayor es la ambliopía y más cuesta su recuperación. Una vez instaurada la ambliopía se pierde la binocularidad y esto puede inducir estrabismo; son muy graves y más difíciles de revertir a pesar del tratamiento en tiempo adecuado.

La Catarata Congénita Fig. 7. Representa el 13% de las causas de disminución visual en niños y es considerada como la causa más frecuente de deprivación visual tratable. Tiene una prevalencia de 1 a 4 por cada 10.000 niños en países desarrollados y de 5 a 15 en países en vías de desarrollo, con un reporte a nivel mundial de 200 mil niños ciegos por CC. Es la causa más importante de ceguera y es responsable del 5 al 20% de cegueras en niños a nivel mundial.(12)

El diagnóstico temprano, el manejo y el seguimiento a largo plazo son esenciales. Se detecta en recién nacidos mediante el examen de reflejo rojo y de Bruckner. El niño con catarata unilateral requiere cirugía temprana para un resultado visual aceptable, entre la 4ta. y 6ta. semana de vida; en los casos bilaterales es recomendable a la 10ma semana, antes de la aparición del estabismo y/o nistagmo, para permitir que continue la maduración del seno camerular y de esta manera reducir el glaucoma de afaquico.. Se indica en lo inmediato lentes de contacto con la corrección completa y cuando comienzan a rechazar las lentes de contacto que generalmente se produce alrededor del año de vida, se indican lentes aéreos. Más tardíamente, se colocan lentes intraoculares para compensar la afaquia. El seguimiento en estos pacientes debe ser periódico evitando de esa manera la ambliopía, y de ser asi comenzar el tratamiento lo antes posible

El leucoma o cicatrices corneales puede ser congénita o adquirida, siendo la 3ra. causa de disminución visual en el mundo. De las opacidades congénitas la causa más frecuente es el síndrome de Peters, que es central; la esclerocornea ocupa la mayor parte de la córnea y la patología infecciosa que generalmente es sectorial. La agudeza visual está significativamente reducida en mayor o menor medida según el tipo, localización y extensión de la opacidad. Son patologías que cursan con ambliopía profunda. Fig. 8 Muchas de las causas de leucoma a pesar de recibir tratamiento médico y/o intervenciones quirúrgicas en tiempo y forma, y a pesar de la rehabilitación óptica adecuada, cursan con severas ambliopías. El único tratamiento existente para una córnea opaca es el trasplante de córnea (13). Puede ser penetrante con mayor posibilidad de rechazo o queratoplastía lamelar(14) si la patología corneal lo permite.

Figura 7. Catarata.
Figura 8. Leucoma.

Ambliopía, causas y tratamiento dicóptico: actualización y fundamentos.

La blefaroptosis aproximadamente un 80 % es congénita, de éstos el 75% son unilaterales y un 25 % bilaterales, cuando se asocian a estrabismo (15-20%) la ambiopía es más profunda. Fig 7. El examen de la agudeza visual, la motilidad ocular, fondo de ojo y una cuidadosa refracción con la corrección completa de la ametropía son de gran importancia para reducir los riesgos de ambliopía, que como ya se indico es mas severa si la ptosis cubre el eje visual, si tiene anisometría y estrabismo (15) . El tratamiento es quirúrgico, ya sea suspensoria al frontal cuando tiene mala función del elevador, técnica de Fasanella ante un músculo de Müller disfuncionante, y resección del elevador, en ptosis con buena o regular función muscular. Esta terapéutica va dirigida a minimizar la ambliopía que se produce por deprivación del eje pupilar y/o astigmatismo (16)

Los hemangiomas son los tumores vasculares benignos más frecuentes en la infancia (17) , ocurren entre el 1 y el 3% de los recién nacidos y son más frecuentes en prematuros, bajo peso, en los embarazos múltiples, en casos de enfermedad placentaria, en punción de las vellosidades coriónicas. Tiene un patrón de crecimiento característico con fase proliferativa desde las primeras semanas de vida hasta el año, a partir del cual comienza una lenta involución. En el trascurso de la evolución afecta la maduración visual si su ubicación involucra el eje o si produce astigmatismo y anisometropía. Fig 10.

El tratamiento con propranolol demostró ser eficaz y seguro, a una dosis de 1.5mg/kg/día, reduciendo el tamaño y coloración de los hemangiomas en la población pediátrica, con mínima incidencia de efectos adversos, aparte de reducir la incidencia de ambliopía (18)

Si bien existen otras causas de Ambliopia por deprivación sensorial indicamos las mas frecuentes y que generan mayor disminución visual.

Se puede decir que el éxito del tratamiento depende especialmente de la edad de comienzo, el cumplimiento, el tipo y grado de ambliopía.

El manejo clásico incluye corrección óptica completa seguida de oclusión (parche) del ojo sano y/o penalización farmacológica. Aunque efectivo, el parche presenta problemas de adherencia y no favorece directamente la recuperación de la función binocular. Cuando la ambliopía es profunda, los niños toleran menos la oclusión, en esta instancia iniciamos tratamiento de penalización que se realiza por medios farmacológicos y/o ópticos en colocar en el ojo dominante 1 gota de atropina al 1% o 1 cristal en los lentes, con la cual se logra mala visión de ese ojo de tal manera que el ojo vago fije, poniendo en mejores condiciones funcionales al ojo ambliope, el ojo dominante se encuentre en inferioridad de condiciones.

Tratamiento dicóptico: modalidades

Los tratamientos activos novedosos y emergentes para la ambliopía incluyen el entrenamiento dicóptico, la realización de tareas de aprendizaje perceptual o los videojuegos de acción (19). El ojo ambliópico se suprime independientemente de su agudeza y, para restaurar la función binocular, la fusión tiene que poder competir con la supresión interocular y superarla. Este es el fundamento de un tratamiento binocular o dicóptico. Entonces la única razón sólida para tratar la ambliopía con este tratamiento es restaurar la visión binocular, las habilidades fusionales y las habilidades 3D, porque esto da como resultado mejores habilidades motoras finas. Esto proporciona ventajas en el mundo real de las que carecen las personas con ambliopía.

Características:

• Videojuegos y aplicaciones gamificadas: tareas dicópticas en tablets que ajustan contraste y contenido entre ojos.

• Películas o contenidos contrast-rebalanced (streaming dicóptico).

• Dispositivos de realidad virtual y entornos inmersivos.

• Sistemas basados en eye-tracking y dispositivos domésticos aprobados como terapéuticos digitales. Fig 11

Figura 9. Ptosis.
Figura 10. Hemangioma.
Tratamiento convencional de Ambliopía

OFTALMOLOGÍA GENERAL

Ambliopía, causas y tratamiento dicóptico: actualización y fundamentos.

Figura 11. Tratamiento dicóptico.

Evidencia clínica (2020–2025)

del tratamiento Dicóptico

En los últimos cinco años se han publicado ensayos controlados y revisiones sistemáticas que evalúan la eficacia de la terapia dicóptica. Estudios notables incluyen ensayos aleatorizados que compararon películas dicópticas o videojuegos frente a oclusión (20) y estudios multicéntricos que evaluaron dispositivos con seguimiento por eye-tracking(21) Resultados clave: mejoras en la agudeza visual (logMAR) y en medidas de estereopsis en múltiples estudios, la adherencia al tratamiento se identificó consistentemente como factor crítico para el éxito terapéutico(22-24) .

Ventajas y limitaciones

Ventajas:

• Mejora potencial de la función binocular y fusión.

• Mayor aceptación y adherencia en algunos pacientes al ser gamificado.

• Aplicable a rangos etarios más amplios, incluidos adolescentes y adultos jóvenes.

Limitaciones:

• Necesidad de infraestructura tecnológica y posible inaccesibilidad en entornos con recursos limitados.

• Ante una inadecuada adherencia se debe iniciar el tratamiento de cero.

• Elección del paciente adecuado por ejemplo aquellos que tiene correspondencia anómala, ambiopía muy profunda.

Discusión

La terapia dicóptica representa un cambio de paradigma al dirigir el tratamiento hacia la restauración de la visión binocular. No solo se demostró mejoría en la agudeza visual, sino que también en la estereopsis, contrastes, formas, colores.

Conclusión

El tratamiento dicóptico constituye una alternativa prometedora y complementaria en el manejo de la ambliopía. Su incorporación a la práctica clínica debe guiarse por la evidencia disponible, las características del paciente y la posibilidad de asegurar un seguimiento y adherencia adecuados

• Ningún niño debería crecer con ambliopía.

• Las causas más frecuentes son los errores refractivos y el estrabismo, y le siguen las patologías congénitas (opacidad corneal, catarata, ptosis, hemangioma)

• La revisión oftalmológica es fundamental para diagnosticar las patologías que producen ambliopía

• Si no se trata a tiempo, la pérdida de visión es para toda la vida.

• Los hijos de padres con problemas visuales son los pacientes con mayor riesgo.

• Una vez diagnosticada la ambliopía el tratamiento son los lentes, en caso de ser necesarios, luego la oclusión, si es muy baja la tolerancia a la oclusión se indica penalización y la terapia dicóptica la cual se puede implementar a cualquier edad.

Referencias bibliográficas:

1. Impact of Amblyopia on Visual Attention and Visual Search in Children Alex A Black , Joanne M Wood , Silvie Hoang , Eloise Thomas , Ann L Webber Invest Ophthalmol Vis Sci 2021 Apr 1;62(4):15.

2. Critical period for deprivation amblyopia in children. Vaegan, Taylor D.Trans Ophthalmol Soc U K (1962). 1979;99(3):

3. Tsaousis KT, et al. Current developments in the management of amblyopia. Br J Ophthalmol. 2023.

4. Observations in patients with occlusion amblyopia: results of treatment. Awaya S, Sugawara M, Miyake S.Trans Ophthalmol Soc U K (1962). 1979;99(3):447-54.

5. Pang PCK, Lam CSY, Hess RF, Thompson B. Effect of dichoptic video game treatment on mild amblyopia - a pilot study. Acta Ophthalmol. 2021 May;99(3):e423-e432.

6. Wygnanski-Jaffe T, Kushner BJ, Moshkovitz A, et al. An eye-tracking-based dichoptic home treatment for amblyopia: a multicenter randomized clinical trial. Ophthalmology. 2023;130(3):274-285. doi:10.1016/j.ophtha.2022.10.020.

7. Effect of amblyopia on the Developmental Eye Movement test in children. Webber AL, Wood JM, Gole GA, Brown B.Optom Vis Sci. 2009 Jun;86(6):760-6.

8. Gordon RA, Donzis PB. Refractive development of the human eye. Arch Ophthalmol. 1985 Jun;103(6):785-9.

9. Levi DM. Rethinking amblyopia 2020. Vision Res. 2020 Nov;176:118-129.

10. Pang PCK, Lam CSY, Hess RF, Thompson B. Effect of dichoptic video game treatment on mild amblyopia - a pilot study. Acta Ophthalmol. 2021 May;99(3):e423-e432.

11. Fernandez Irigaray L, Gomez GD. Refracción en la infancia: de la practica a la teoría Buenos Aires: Ediciones Cientificas Argentinas, 2022.

12. Mohammadpour M, Shaabani A, Sahraian A, Momenaei B, Tayebi F, Bayat R, Mirshahi R. Updates on managements of pediatric cataract. J Curr Ophthalmol. 2018 Dec 22;31(2):118-126.

13. Sharma N, Agarwal R, Jhanji V, Bhaskar S, Kamalakkannan P, Nischal KK. Lamellar keratoplasty in children. Surv Ophthalmol. 2020 Nov-Dec;65(6):675-690

14. Curr Opin Ophthalmol. 2017 Sep;28 Pediatric corneal transplants. Trief D, Marquezan MC, Rapuano CJ, Prescott CR. 5):477-484.

a. Pavone P, Cho SY, Praticò AD, Falsaperla R, Ruggieri M, Jin DK. Ptosis in childhood: A clinical sign of several disorders: Case series reports and literature review. Medicine (Baltimore). 2018 Sep;97(36):e12124.

15. Griepentrog GJ, Diehl N, Mohney BG. Amblyopia in childhood eyelid ptosis. Am J Ophthalmol. 2013 Jun;155(6):1125-1128.

16. Kilclinne C. Infantil hemangiomas: how common are they. A systematic review of the medical literature. Pediatr Dermatol 2008; 25 (2): 168-73.

17. Léauté-Labreze C, Dumas de la Roque E, Hubiche T, et al. Propranolol for severe hemangiomas of infancy. N EnglJ Med2008; 358: 2649-2651

18. Pang PCK, Lam CSY, Hess RF, Thompson B. Effect of dichoptic video game treatment on mild amblyopia - a pilot study. Acta Ophthalmol. 2021 May;99(3):e 423-e432.

19. Pang PCK, Lam CSY, Hess RF, Thompson B. Effect of dichoptic video game treatment on mild amblyopia – a pilot study. Acta Ophthalmol. 2020;99(3). doi:10.1111/aos.14595.

20. Jost RM, et al. Randomized clinical trial of streaming dichoptic movies versus patching for amblyopia. Sci Rep. 2022;12:XXXX. doi:10.1038/s41598-022-08010-9.

21. Xiao S, et al. Randomized Controlled Trial of a Dichoptic Digital Therapeutic for Amblyopia. Ophthalmology. 2022;129(11).

22. Tsani Z, et al. Binocular amblyopia treatments: a systematic review. 2024; Springer/Nature.

Diagnóstico y tratamiento de la degeneración corneal nodular de Salzmann

Autor: Prof. Honorario Dr. Alejo Vercesi. Director de la Carrera de Especialización en Oftalmología de la Facultad de Ciencias Médicas de Rosario. Prof. Titular de la UAI.

Resumen

Objetivo: Reportar un caso de Degeneración Corneal Nodular de Salzmann resaltando los signos diagnósticos y las diferentes estrategias terapéuticas.

Palabras Claves: DNS (Degeneraciòn Nodular de Salzmann, SO (Superficie Ocular) ALK: Queratoplastia Lamelar Automatizada; PTK: Queratoplastia Penetrante; PK: Queratoplastia Penetrante.

de las mismas hacia el limbo y el centro, FIG. 1. En la AOCT se observa la imagen de una formación que altera la superficie de la córnea, de carácter subepitelial que respeta la Membrana de Bowman . FIG. 2

En las topografías corneales se observa un grosor aumentado del espesor corneal y un astigmatismo inducido. FIG. 3

Se decide tratamiento quirúrgico con el objetivo de eliminar la opacidad corneal que disminuye la visión del OI.

Resultados

Se trata de paciente masculino de 45 años que consulta por disminución de la agudeza visual de su ojo derecho, en el que se observan formaciones blanquecinas elevadas que ocupan el sector nasal de la córnea, de características densas disminuyendo la intensidad de estas hacia el limbo y el centro, que afectan al eje visual. Refiere como antecedentes varias cirugías previas en el ojo derecho.

Examen oftalmológico

Al examen oftalmológico se constata lo siguiente; Agudeza visual OD; 10/10 sin corrección. OI: 2/10 sin corrección, que no mejora con corrección óptica ni con el agujero estenopeico. PIO: OD.16 mmHg y OI: 15mmHg. Examen fondo de ojo normal en ambos ojos. Al examen biomiscroscópico: OD: sin particularidades. OI: se observan formaciones blanquecinas elevadas que ocupan el sector nasal de la córnea de características densas, que afectan al axis corneal, disminuyendo la intensidad

Técnica quirúrgica

Bajo anestesia tópica y subtenoniana con 2cc de lidocaína sin conservantes, se busca zona de clivaje entre los nódulos y la Membrana de Bowman con un cuchillete Beaver desde el centro de la córnea al limbo, cortándose las placas con tijera de Vannas . Se coloca Mitomicina C durante 45 seg en la zona afectada, se lava con suero fisiológico en forma abundante y se coloca un lente de contacto terapeútico. En el postoperatorio se constata la total eliminación de las placas corneales FIG4. En la A-OCT postoperatoria. FIG. 5.

Se observa la normalización del espesor corneal, como en la Topografia posoperatoria FIG. 6.

El diagnóstico anátomo-patológico confirma el diagnóstico de nódulos de Salzmann , sin lesiones de malignidad.

Caso Clínico

CÓRNEA - REPORTE DE CASO

Diagnóstico y tratamiento de la degeneración corneal nodular de Salzmann.

Discusión

Maximilian Salzmann describió, en el año 1925, a una afección corneal que presentaba múltiples nódulos blancos-grisáceos de tamaño variable asociadas a antecedes que queratoconjuntivis recurrentes, de carácter no inflamatorio y progresiva(1). Los pacientes pueden ser asintomáticos al comienzo de la afección pero luego presentan, -alrededor del 60-80%-, síntomas varios como: sensación de cuerpo extraño, arenilla, dolor, lagrimeo, visión borrosa cuando la lesión afecta al eje visual, ojo rojo y blefaroespamo. Los signos más frecuentes son las erosiones corneales recurrentes (2) Hamada et al reportan que el signo más frecuente es la disminución de la agudeza visual (3) . La disminución de la agudeza visual puede ocurrir por varios mecanismos, que incluyen a la directa obstrucción de la agudeza vi-

sual por los nódulos, cambios hipermetròpicos y astigmatismo irregular (4)

FIG. 1: SUPERFICIE OCULAR.

FIG. 2: A-OCT PREOPERATORIA.

El diagnóstico clínico se realiza mediante el examen biomicroscópico donde se observan los nódulos subepiteliales amarillos-blanquecinos de forma redonda, que pueden afectar cualquier parte de la córnea, pero con mayor predilección la media periferia en la zona superior o inferior de la córnea en pacientes con inflamaciones previa de la misma. En el movimiento hacia arriba el reflejo de Bells puede estar asociado a nódulos inferiores, mientras que aquellos pacientes que presentan reflejo de Bells inverso tienden a desarrollar nódulos inferiores. En miopes usuarios de lentes de contacto los nódulos se hallan en la córnea interpalpebral, mientras que en los pacientes con queratocono usuarios de lentes de contacto los nódulos se encuentran con mayor frecuencia en el ápex corneal (5) . El número de nódulos varía entre uno a ocho con un tamaño de 1 a 2mm que, a veces, coalescen originando una sobreelevación alargada. Los nódulos son tipìcamente avasculares, algunas veces pueden observarse un crecimiento vascular en los nódulos en pacientes operados previamente de pterigión o pannus. La base de los nódulos pueden estar pigmentadas debido a contenidos en hierro que no se tiñen con fluoresceína (6) . Con respecto a la epidemiología los nódulos son bilaterales en el 58%-67% (7) . La prevalencia estimada por Salzmann in 1925 er a de 1 cada 2.420. En estudio reciente, en 2.420 pacientes con alteraciones de la superficie ocular se observaron nódulos en 2 pacientes (7) . No obstante, de afectar a todas las etnias, lo últimos reportes indican que la mayor frecuencia ocurre entre las mujeres caucásicas entre los 50-60 años.

Aunque no se ha dilucidado la etiología y el origen de esta enfermedad de la Supericie Ocular permanece sin conocerse, estudios familiares han determinado que factores genéticos y factores ambientales pueden ser la causa de la misma.

CÓRNEA - REPORTE DE CASO

Diagnóstico y tratamiento de la degeneración corneal nodular de Salzmann.

Tres reportes informan la importancia de la herencia de tipo autosómica dominante. El primero de ellos, versa sobre un estudio de tres generaciones de una familia alemana que presentaban alteraciones corneales con apariencia de nódulos de Salzmann (8) .

El segundo reporte describe a cuatro mujeres que presentaban a lo largo de sucesivas generaciones degeneración nodular de Salzmann confirmada por biopsia (9) El debate versa sobre en relación a si los fenotipos son causados por la mutación del TGFB1 a Gly623 Asp (10)(11) , mientras la distrofia Gly623 Asp clínicamente es simi -

lar a la DNS pero histológicamente es distinta y caracterizada por acúmulos de material amiloide en el epitelio. Como no se ha reportado el genotipo de ninguna de las familias estudiadas la base genética de las alteraciones tipo degeneración de Salzmann no están aún dilucidadas permaneciendo poco esclarecido el rol genético en la enfermedad de Salzmann.

Los factores que intervienen en la generación de esta enfermedad son múltiples y comprenden a enfermedades varias de la Superficie Ocular como las queratoconjuntivis, irritación e inflamaciones crónicas como las queratitis flictenular, tracoma, rosácea y queratitis vernal, ojo seco, enfermedades de la membrana basal anterior, enfermedad ocular tiroidea y el uso de lentes de contacto.

Las queratitis causadas por fiebre escarlatina, sarampión y uveítis crónicas también son etiologías menciondas por algunos autores (12)

La predilección de la enfermedad de Salzmann por el sexo femenino en relación al masculino se debería a las alteraciones producidas por la deficiencia androgénica.

La deficiencia andrógenica ha sido asociada con la deficiencia de las glándulas de Meibomio , al ojo seco evaporativo y a la acuodeficiencia del film lagrimal (13) y podrían gatillar la irritación de la Superficie Ocular en las mujeres.

El trauma y la cirugía ocular como la keratomileusis (LASIK), han sido reportados como causa de DGS afectando al margen del flap y la córnea periférica (14) ; los nódulos asociados al LASIK pueden aparecer hasta tres décadas posterior a la cirugía inducidos por la irritación, hipoestesia corneal y ojo seco.

Con respecto a la Histología, los nódulos son montículos de matrix extracelular compuestos por fibrillas de colágeno ubicados en forma irregular, fibroblastos y lámina basal replicada (15)

FIG. 3: TOPOGRAFIA CORNEAL PREOPERATORIA.
FIG. 4: LA SUPERFICIE OCULAR EN EL POSOPERATORIO.

Diagnóstico y tratamiento de la degeneración corneal nodular de Salzmann.

Otras de las características histológicas incluyen un epitelio adelgazado sobre el nódulo con ausencia o fragmentación de la membrana de Bowman que es reemplazada por un material esosinófilo y T-linfocito ácido Periódico Schiff (PAS) positivo, como así también, un complejo antígeno case II histocompatible (16) . Los rasgos histológicos pueden ser visualizados en las degeneraciones pannus, en cicatrices corneales antiguas producidas por traumas o inflamaciones.

Los mecanismos de la cicatrización corneal son muy complejos y comprenden a una cascada de expresión de genes epiteliales con participación y diferenciación de fibroblastos que organiza la síntesis, degradación y resìntesis del colágeno. Cuando hay daño epitelial, la migración de las células epiteliales transitorias expresan la matrix metalloproteinasa, enzima que degrada la membrana basal fijando las estructuras dañadas de la córnea para promover la reepitelizaciòn. La inmunohistoquimia de los nódulos de Salzmann demuestra que, excepto de una mínima expresión de MMP en el epitelio apical; el MMP-2 está involucrado en la fase crónica de la reparación y expresado durante numerosos meses luego de iniciada la injuria, mientras el MMP-9 está presente en la fase aguda de la reparación resintetizando la membrana basal (17)

Mientras la importancia funcional de la membrana de Bowman permanece en debate, Wilson y colaboradores sugieren que existe un efecto barrera quimiostático apoptótico negativo sobre el queratocito mediado por bajos niveles de citokinas e interleukinas (18) .

Cuando la función intrínseca de la barrera de Bowman es dañada, la migración y proliferación de queratocitos pueden inducir el depósito de Matrix extracelular desorganizada en forma de nódulos.

La disrupción de la membrana de Bowman por el MMP-2 en la configuración de las injurias crónicas epiteliales está implicada en la fisiología patológica de la DN S. Si esta hipótesis fuera correcta la ablación que al -

tera la membrana de Bowman producida por la keratomileusis incrementaría la incidencia de DNS. Ha sido propuesta el origen limbar de la DNS en base a múltiples estudios que observaron nòdulos epiteliales suprayacentes expresando alto niveles de cytoreratina 19 (CK19), un marcardor de epitelio indiferenciado típico, presente en células limbares metabólicamente activas transitorias amplificadas (19) . Aunque, en principio, el epitelio suprayacente al epitelio no expresa a marcadores de células madres (ABCG2, p63, enolase-alpha, Connexin 43, and IntegrinB1) sugiriendo SNW, el epitelio está parcialmente diferenciado pero aún permanece sin dilucidar la diferenciación de las células epiteliales del centro de la córnea y las células madres del limbo.

FIG. 5: A-OCT-POSOPERATORIA.
FIG. 6: TOPOGRAFIA POSOPERATORIA.

Diagnóstico y tratamiento de la degeneración corneal nodular de Salzmann.

Aunque el diagnóstico básico se realiza mediante el examen biomicroscópico la tecnología puede ayudar mucho como la OCT del segmento anterior, la Ultrasónica, la Biomicroscopía Confocal y Topografía corneal computada. Las imágenes correspondientes a la SA-OCT y la UBM se correlacionan con los NSD. Las imágenes de los nódulos se observan como depósitos hiperreflexivos subepiteliales sobre la Membrana de Bowman (20) . La ruptura de la MB se puede observar cuando existe una profunda adherencia de los nódulos, que en el examen con la UBM se visualizan hiperecogénicos debajo de un delgado epitelio. La microscopía confocal se correlaciona muy bien con las descripciones patológicas: nódulos superficiales irregulares con el núcleo epitelial focal comparable a las de las células pleomórficas basales con la cromatina concentrada (21) Cuando se llega a las capas más profundas se constatan zonas de mayor concentración de colágeno irregular y depósitos de sustancias hialinas dentro de los nódulos y el estroma. También, en la microscopía confocal, se han observado queratocitos en estrecha proximidad con los nervios corneales engrosados. La microscopía confocal tiene el valor para documentar “in vivo” de los cambios celulares y estructurales de los tejidos. La Topografía corneal y la Tomografía son utilizadas para registrar el astigmatismo inducido por los nódulos.

El manejo de los pacientes con DNS depende de los síntomas y signos que presentan. El 15% de los afectados son asintomáticos, de acuerdo a varias series de casos estudiados, y deben ser tratados en forma conservadora. En caso de asociarse a ojo seco la higiene palpebral asociados a lubricantes tópico s está recomendada, más el uso de corticoides, cliclosp orina, y antiinflamatorios no esteroides y doxicilina, cuando los nódulos coexisten con enfermedad crónica de la SO. La cirugía ocular está indicada en pacientes sintomáticos con disminución de la agudeza visual o intolerancia al lente de contacto secundaria a los nódulos de Salzmann y disconfort ocular. En distintas series de casos quirúrgicos el porcentaje fue de 13.3 a 32,2% y el éxito posquirúrgico con incremento de la agudeza visual fue de 79,2 a 100% (22) . Existen varias estrategias quirúrgicas que incluyen: queractectomia superficial de los nódulos de Salzmann , queratectomia fototerapéutica, queratoplastia lamelar o profunda. Estos procedimientos quirúrgicos fueron realizados con la utilización de la Membrana Amniótica y delaminación con alcohol o mitomicina C (23) . La queratectomía superficial es el método más utilizado; primero se retira el epitelio supra epiteliales y el nódulo es escindido mediante tracción con pinzas 0,12mm. Mientras que en la superficie corneal debajo de los nódulos removidos, luego de la

queratectomia, pueden persistir defectos de la membrana de Bowman o el estroma anterior. La AS-OCT es útil para detectar nódulos que afectan el estroma corneal y ser tratados con PTK o pulidor de diamantes para alisar la superficie corneal, pero pueden generar una hipermetropización (24) . En un estudio de 22 casos tratados con PTK hubo recurrencias en el 31% de éstos, similar a los casos de recurrencias, 22%, de los tratados únicamente con queratectomia superficial. El uso de Mitomicina C puede evitar las recurrencias en los pacientes tratados con ambos métodos. También se han reportado tratamientos combinados de queratectomía superficial, PTK y Mitomicia C con excelentes resultados (25)

En lo casos de nódulos profundos que se extienden el estroma medio la Queratoplastia lamelar profunda (ALK) puede ser una alternativa quirúrgica. En el tratamiento comparando (ALK) vs PTK para el tratamiento de nódulos de Salzmann periféricos, los resultados fueron similares a los seis meses posoperatorios sin recurrencia en ninguno de los dos grupos (26) Hay estudios que reportan un mayor índice de complicación con la ALK comparada con la PTK debido a la infección de la interfase y neovascularización dentro del eje visual (27) . Es muy infrecuente la indicación de la queratoplastia penetrante (PK) en el DNS, solo reservada a una patología corneal que involucre todo el espesor de la córnea, a una patología preexistente o una complicación de la ALK. Las recurrencias pueden ocurrir varios años luego de la PK (28)

En el caso presentado se utilizó la técnica Queratectomía Superficial con el uso de Mitomicia C y colocación de lente de contacto terapéutico con excelentes resultados visuales.

Conclusión

La Degeneración corneal nodular de Salzmann es una afección que involucra a la Superficie Corneal y presenta múltipes formas de manifestación y puede generar desde síntomas leves como irritación, enrojecimiento, ojo seco e inflamación ocular, hasta la disminución grave de la visión.

Su etiología no está clara y se proponen diversas causas para expicarla.

El tratamiento varía desde el tratamiento sintomático hasta el quirúrgico que incluye Queratectomia Superficial, ALK, PTK y PK

CÓRNEA - REPORTE DE CASO

Diagnóstico

y tratamiento de la degeneración corneal nodular de Salzmann.

Referencias bibliográficas:

1-Journal Pre-proof Salzmann's nodular degeneration experimental eye research, 8/25/20 Kevin Wang, Craig W. See 2-Hamada, S., Darrad, K., McDonnell, P.J., 2011. Salzmann's nodular corneal degeneration (SNCD): clinical findings, risk factors, prognosis and the role of previous contact lens wear. Contact lens & anterior eye: the journal of the British Contact Lens Association 34, 173-178.

3- Graue-Hernandez, E.O., Mannis, M.J., Eliasieh, K., Greasby, T.A., Beckett, L.A., Bradley, J.C., Schwab, I.R.,2010. Salzmann nodular degeneration. Cornea 29, 283-289.

4- Das, S., Langenbucher, A., Pogorelov, P., Link, B., Seitz, B., 2005a. Long-term outcome of excimer laser phototherapeutic keratectomy for treatment of Salzmann's nodular degeneration. Journal of cataract and refractive surgery 31, 1386-1391

5- Das, S., Link, B., Seitz, B., 2005b. Salzmann's nodular degeneration of the cornea: a review and case 6-Jaworski, A., Arvanitis, A., 1999. Salzmann's nodular degeneration of the cornea. Clinical & experimental optometry 82, 14-16.

7-Gupta, P.K., Drinkwater, O.J., VanDusen, K.W., Brissette, A.R., Starr, C.E., 2018. Prevalence of ocular surface dysfunction in patients presenting for cataract surgery evaluation. Journal of cataract and 8- Singer, A.R., Pahl, S., Lang, H.M., Ruprecht, K.W., 1998. A familial anterior corneal degeneration: clinical aspects, histopathology and differential diagnosis. Klinische Monatsblatter fur Augenheilkunde 213, 9- Papanikolaou, T., Goel, S., Jayamanne, D.G., Mudhar, H., Desai, S.P., 2010. Familial pattern of Salzmann- type nodular corneal degeneration--a four generation series

The British journal of ophthalmology 94, 10- Auw-Haedrich, C., Agostini, H., Clausen, I., Reinhard, T., Eberwein, P., Schorderet, D.F., Gruenauer-Kloevekorn, C., 2009. A corneal dystrophy associated with transforming growth factor beta-induced.

11-Khan, K., Ali, M., Inglehearn, C., 2011. Familial pattern of Salzmann-type nodular corneal degenerationa four generation series. Reply to Papanikolaou et al. The British journal of ophthalmology 95, 890;

12- Farjo, A.A., Halperin, G.I., Syed, N., Sutphin, J.E., Wagoner, M.D., 2006. Salzmann's nodular corneal degeneration clinical characteristics and surgical outcomes. Cornea 25, 11-15.

13- Mathers, W.D., Stovall, D., Lane, J.A., Zimmerman, M.B., Johnson, S., 1998. Menopause and tear function: the influence of prolactin and sex hormones on human tear production. Cornea 17, 353-358.

14-He, X., Donaldson, K.E., 2019. Superficial keratectomy for Salzmann nodular degeneration following laser in situ keratomileusis. Canadian journal of ophthalmology. Journal canadien d'ophtalmologie 54, e149-e 151

15- Stone, D.U., Astley, R.A., Shaver, R.P., Chodosh, J., 2008. Histopathology of Salzmann nodular corneal degeneration. Cornea 27, 148-151.

16- Yoon, K.C., Park, Y.G., 2003. Recurrent Salzmann's nodular degeneration. Japanese journal of ophthalmology 47, 401-404.

17- Fini, M.E., Girard, M.T., Matsubara, M., 1992. Collagenolytic/gelatinolytic enzymes in corneal wound healing. Acta ophthalmologica. Supplement, 26-33.

18 Wilson, S.E., Hong, J.W., 2000. Bowman's layer structure and function: critical or dispensable to corneal function? A hypothesis. Cornea 19, 417-420-

19- Eberwein, P., Hiss, S., Auw-Haedrich, C., Sundmacher, R., Hauer, K., Boehringer, D., Meier, P., Reinhard, T., 2010. Epithelial marker expression in Salzmann nodular degeneration shows characteristics of limbal transient amplifying cells and alludes to an involvement of the epithelium in its pathogenesis. Acta ophthalmologica 88, e184-189.

20- VanderBeek, B.L., Silverman, R.H., Starr, C.E., 2009. Bilateral Salzmann-like nodular corneal degenerationafter laser in situ keratomileusis imaged with anterior segment optical coherence tomography and high-frequency ultrasound biomicroscopy. Journal of cataract and refractive surgery 35, 785-787.

21- Ku, J.Y., Grupcheva, C.N., McGhee, C.N., 2002. Microstructural analysis of Salzmann's nodular degeneration by in vivo confocal microscopy. Clinical & experimental ophthalmology 30, 367-368.

22- Farjo, A.A., Halperin, G.I., Syed, N., Sutphin, J.E., Wagoner, M.D., 2006. Salzmann's nodular corneal degeneration clinical characteristics and surgical outcomes. Cornea 25, 11-15.

23- Roszkowska, A.M., Colosi, P., De Grazia, L., Mirabelli, E., Romeo, G., 2009. One year outcome of manual alcohol-assisted removal of Salzmann's nodular degeneration. Graefe's archive for clinical and experimental ophthalmology. Albrecht von Graefes Archiv fur klinische und experimentelle Ophthalmologie 247, 1431-1434.

24- Hersh, P.S., Spinak, A., Garrana, R., Mayers, M., 1993. Phototherapeutic keratectomy: strategies and results in 12 eyes. Refractive & corneal surgery 9, S90-95.

25- Khaireddin, R., Katz, T., Baile, R.B., Richard, G., Linke, S.J., 2011. Superficial keratectomy, PTK, and mitomycin C as a combined treatment option for Salzmann's nodular degeneration: a follow-up of eight eyes. Graefe's archive for clinical and experimental ophthalmology = Albrecht von Graefes Archiv fur klinische und experimentelle Ophthalmologie 249, 12111215.

26- Sharma, N., Prakash, G., Titiyal, J.S., Vajpayee, R.B., 2012. Comparison of automated lamellar keratoplasty and phototherapeutic keratectomy for Salzmann nodular degeneration. Eye & contact lens

27- Sharma, N., Prakash, G., Titiyal, J.S., Vajpayee, R.B., 2012. Comparison of automated lamellar keratoplasty and phototherapeutic keratectomy for Salzmann nodular degeneration. Eye & contact lens

28- Severin, M., Kirchhof, B., 1990. Recurrent Salzmann's corneal degeneration. Graefe's archive for clinical and experimental ophthalmology = Albrecht von Graefes Archiv fur klinische und experimentelle Ophthalmologie 228, 101-104

Degeneración reticular y fotopsias en paciente migrañosa

Autores: Dres. Francisco Ramón Schreiber, Eduardo Narvaez Ferrer, Marcelo Zamora Fernández, Dra. Johana Gabriela Moreno Núñez y Lic. Pamela Rosalez. Autor de correspondencia: Lic. Pamela Rosalez. lic.rosalez@outlook.es

Resumen

Introducción: La degeneración reticular es una lesión periférica de la retina, frecuente en ojos miopes y se asocia con un mayor riesgo de desgarros y desprendimiento de retina. Algunos de sus síntomas, como las fotopsias y los escotomas, pueden confun dirse con fenómenos visuales de origen neurológico (por ejemplo, las auras migrañosas) lo que dificulta el diagnóstico en pacientes jóvenes.

Objetivo: Presentar un caso de degeneración reticular bilateral con desgarros retinianos en una paciente joven con migraña, destacando el valor del examen oftalmológico completo y la fotocoagulación láser en el manejo y prevención del desprendimiento de retina, así como la relevancia del enfoque interdisciplinario en el diagnóstico diferencial.

Caso clínico: Paciente femenina de 23 años, sin antecedentes oftalmológicos relevantes, quien consultó por fotopsias en el ojo izquierdo y escotoma central luminoso en el ojo derecho, asociados a cefaleas migrañosas. La evaluación oftalmológica evidenció miopía con astigmatismo, degeneración reticular bilateral y desgarros retinianos periféricos en ambos ojos. Se realizó fotocoagulación láser profiláctica, con resolución completa de los síntomas, manteniendo una agudeza visual estable y sin complicaciones durante el seguimiento.

Conclusión: En pacientes jóvenes con fenómenos visuales y antecedentes de migraña, es esencial descartar cau -

sas retinianas, antes de atribuir los síntomas a un origen neurológico.

La evaluación oftalmológica completa permitió identificar lesiones retinianas tratables y realizar fotocoagulación láser, con buenos resultados clínicos.

Palabras claves: Migraña con aura, Fotocoagulación, Degeneración reticular, Reporte de caso.

Introducción

La degeneración reticular (lattice) es una alteración periférica de la retina relativamente común, con una prevalencia estimada entre el 6 y el 8% en la población general y cifras mayores en estudios histopatológicos post-mortem (hasta 10,7%) 1,2 . Esta frecuencia aumenta significativamente en los ojos miopes 3 , llegando a describirse prevalencias de hasta un tercio en algunas series, lo que contribuye al mayor riesgo de desprendimiento de retina en estos pacientes.

Morfopatológicamente, se caracteriza por adelgazamiento retiniano localizado, licuefacción vítrea suprayacente y adherencias vitreorretinianas marginales, cambios que predisponen a la formación de agujeros atróficos, desgarros y, finalmente, desprendimientos de retina regmatógeno (DRR) 2 . Aunque suelen ser asintomáticos y se detectan de forma incidental, puede manifestarse con fotopsias, miodesopsias y pérdida del campo visual periférico.

El mecanismo más habitual que conduce a desprendi -

Clínica de Ojos Dr. Nano. San Miguel, Buenos Aires, Argentina.

Degeneración reticular y fotopsias en paciente migrañosa.

miento de retina en el contexto de degeneración reticular es el desgarro por tracción en el borde posterior de la lesión, típicamente asociado al desprendimiento posterior del vítreo (DVP), en individuos de mayor edad. En un porcentaje menor de casos -más característico de miopes jóvenes- se describen agujeros atróficos independientes del DPV, con localización preferente en retina inferior 4

El tratamiento profiláctico mediante fotocoagulación láser o crioterapia está indicado en situaciones sintomáticas o cuando existen desgarros y tracción vítrea activa, y reduce el riesgo de evolución a desprendimiento regmatógeno 5

Por otro lado, los síntomas visuales de origen neurológico, en especial la migraña con aura o la llamada migraña retiniana, pueden solaparse clínicamente con manifestaciones retiniano. La migraña retiniana, una entidad poco frecuente y controvertida, suele presentarse con fenómenos visuales estrictamente monoculares y pérdida visual transitoria, lo que diferencia del aura migrañosa típica, habitualmente bilateral y de origen cortical 1 Debido a la ambigüedad terminológica y a la escasez de criterios diagnósticos estandarizados, esta entidad representa un desafío diagnóstico.

Ante la superposición de síntomas, la evaluación multimodal (examen oftalmológico completo, campos visuales, tomografía de coherencia óptica macular y de nervio óptico y, cuando procede, pruebas de neuroimagen y angiografía) es esencial para diferenciar etiologías retinianas de causas neurológicas.

Presentamos el caso de una paciente joven con degeneración reticular bilateral y síntomas visuales sugestivos de migraña retiniana, en el que el examen oftalmológico dirigido condujo al correcto diagnóstico y manejo profiláctico con fotocoagulación láser.

Se presenta el caso de una paciente femenina, de 23 años de edad, con miopía como antecedente oftalmológico, quien consultó al se rvicio de oftalmología de la clínica de ojos “Dr Nano” por fotopsias en ojo izquierdo (OI) de siete días de evolución, acompañadas de escotoma central luminoso en ojo derecho (OD) y leve disminución de la agudeza visual (AV). Estos síntomas se asociaron con cefaleas migrañosas recurrentes en el transcurso de las tres semanas previas a la consulta.

Previamente, la paciente hab ía sido evaluada por un servicio de neurología externa, donde se instauró tratamiento con topiramato 50 mg/día durante cinco días, el cual fue suspendido por efectos adversos (parestesias y dispepsia). La resonancia magnética nuclear cerebral no evidenció signos de isquemia ni otras alteraciones relevantes.

Al examen oftalmológico inicial, la AV mejor corregida fue de 10/10 en OD y 9/10 en OI.

El autorrefractómetro reveló miopía con astigmatismo significativo en ambos ojos (AO).

La biomicroscopía (BMC) no mostró hallazgos de relevancia. Al fondo de ojo (FO), se observó retina aplicada en AO. Se identificó degeneración en “lattice” en el sector superior de AO.

La papila óptica era de color rosado, con bordes definidos y una excavación fisiológica estimada en cup/disc 0.2 (vertical), sin signos de edema ni hemorragias peripapilares.

Se solicitaron estudios complementarios, incluyendo campo visual, tomografía de coherencia óptica macular y de nervio óptico, y potenciales evocados, los cuales no evidenciaron alteraciones patológicas significativas.

Posteriormente, la paciente presentó un nuevo episodio de migraña con aura, acompañado de un escotoma central en OD de aproximadamente 10 minutos de duración, el cual se resolvió espontáneamente tras la administración de naproxeno 500 mg/episodio. Sin embargo, persistieron fotopsias centrales permanentes.

En controles subsiguientes, la AV y el examen de BMC se mantuvieron sin modificaciones. En el FO se observó desgarro retiniano periférico inferior H7 en OD (Figura 1A) y degeneración en lattice en H12 del mismo ojo (Figura 1B)

En OI se identificaron desgarros en H4, y H5 (Figura 2A) y degeneración en lattice en H12 (Figura 2B)

Se indicó tratamiento con fotocoagulación láser en AO como medida profiláctica ante el riesgo de desprendimiento de retina. Se indicó además tratamiento tópico post-láser con prednisolona oftálmica 1% y fenilefrina cada 8 horas, durante cinco días.

Posteriormente, la paciente refirió la resolución completa de las fotopsias. En los controles, la AV fue de 10/10 en AO, sin cambios en la BMC y con evolución satisfactoria de las cicatrices del láser al FO.

Degeneración reticular y fotopsias en paciente migrañosa.

Discusión

Este caso destaca la importancia de una evaluación oftalmológica completa en pacientes jóvenes con síntomas visuales que podrían interpretarse inicialmente de origen neurológico. La resolución de las fotopsias tras la fotocoagulación láser refuerza la hipótesis de que al menos una parte de los fenómenos luminosos tenían origen retiniano. La fotocoagulación periférica actúa creando adhesión retiniana y formando una barrera cicatricial que reduce la probabilidad de progresión a desprendimiento de retina regmatógeno, justificando su indicación ante desgarros sintomáticos o tracción activa en pacientes con degeneración lattice 6,7,8

No obstante, la coexistencia de un componente migrañoso no puede descartarse por completo. Aspectos como la edad de la paciente, los antecedentes de cefalea con aura y la aparición de escotoma central transitorio son compatibles con migraña con aura 9,10

La diferencia clínica es compleja: las auras corticales habitualmente producen síntomas visuales binoculares y migratorios en el campo visual, mientras que la migraña retiniana, rara y discutida, cursa con alteraciones estrictamente monoculares; por su parte, los fenómenos retinianos suelen ser persistentes o relacionados con eventos vítreos-retinianos. En nuestro caso, la persistencia de fotopsias hasta la intervención y su resolución posterior favorecen la etiología retiniana, aunque episodios transitorios sugieren que ambos mecanismos pudieron coexistir 11,12 .

Figura 1B. Retinografía. Degeneración lattice H12 en OD.
Figura 2B. Retinografía. Degeneración lattice en H12 en OI.
Figura 2A. Retinografía. Desgarro retiniano en H4 y H5 en OI.
Figura 1A. Retinografía. Desgarro retiniano periférico inferior H7 en OD.

Degeneración reticular y fotopsias en paciente migrañosa.

La literatura no apoya una relación causal directa entre migraña y aparición de desgarros retinianos o degeneración lattice; no obstante, estudios recientes han explorado cambios microvasculares retinianos en migrañosos mediante técnicas angiográficas, cuya relevancia clínica continúa siendo incierta 12,13 . Por lo tanto, es esencial no atribuir automáticamente fenómenos visuales a la migraña sin realizar un examen oftalmológico adecuado, ya que ello puede retrasar intervenciones que previenen complicaciones graves como el desprendimiento de retina 14,15,16

Entre las limitaciones de este caso, se identifican el retraso en la realización de estudios diagnósticos por baja adherencia de la paciente, la ausencia de antecedentes oftalmológicos familiares detallados y la falta de un seguimiento neurológico coordenado que habría permitido una correlación temporal más estrecha entre cefalea/aura y síntomas visuales. Entre las fortalezas, destaca la evaluación multimodal oftalmológica y la respuesta clínica favorable al tratamiento profiláctico.

Responsabilidad ética

DERECHO A LA PRIVACIDAD Y CONSENTIMIENTO INFORMADO

Los autores han obtenido el consentimiento informado de la paciente referida en este artículo. Este documento obra en poder del autor de correspondencia, y se encuentra documentado en la “Clínica de Ojos Dr. Nano”.

Conclusión

La presencia de fenómenos visuales en pacientes jóvenes, como fotopsias o escotomas, incluso en el contexto de migraña con aura, constituye un reto diagnóstico. Ante estos casos, es fundamental realizar un examen oftalmológico completo para descartar lesiones retinianas tratables como posible etiología.

La fotocoagulación láser cumple un rol tanto terapéutico como profiláctico en desgarros sintomáticos asociados a dege neración reticular, ya que puede resolver los síntomas y disminuir el riesgo de desprendimiento de retina regmatógeno. La colaboración entre oftalmología y neurología resulta clave tanto para el diagnóstico diferencial como para el seguimiento adecuado.

FINANCIAMIENTO

Ninguno de los autores recibió apoyo económico o de otro tipo durante el desarrollo de esta investigación.

CONFLICTO DE INTERÉS

Los autores declaran no tener ningún conflicto de interés.

Referencias bibliográficas:

1. American Academy of Ophthalmology. Preferred Practice Pattern® Retina/Vitreous Committee of the AAO; Hoskins Center for Quality Eye Care. Preferred Practice Pattern®: Posterior Vitreous Detachment, Retinal Breaks, and Lattice Degeneration. San Francisco, CA: American Academy of Ophthalmology; 2019.

2. Byer NE. Reticular degeneration of the retina. Surv Ophthalmol.1979 JanFeb;23(4):213–48.

3. Celorio JM, Pruett RC. Prevalence of reticular degeneration and its relation to axial length in high myopia. Am J Ophthalmol. 1991;111(1):20–23.

4. Sociedad Española de Retina y Vítreo (SERV). Manejo de las

degeneraciones periféricas de la retina. Guías de Práctica Clínica de la SERV.

5. Wilkinson CP. Interventions for asymptomatic retinal breaks and lattice degeneration for preventing retinal detachment. Cochrane Database Syst Rev. 2014 Sep 5;(9):CD003170.

6. Wilkinson CP. Cryotherapy and laser photocoagulation for lattice degeneration and retinal breaks. Ophthalmol Clin North Am. 1991;4(3):637–45.

7. American Academy of Ophthalmology. Preferred Practice Pattern® Retina/Vitreous Committee Retinal Detachment. San Francisco, CA: American Academy of Ophthalmology; 2016.

8. Burton TC, Haines H. Prophylactic treatment of retinal breaks and

degeneration with laser photocoagulation. Arch Ophthalmol. 1989;107(6):803–8.

9. Goadsby PJ, Holland PR, MartinsOliveira M, Hoffmann J, Schankin C, Akerman S. Pathophysiology of migraine: a disorder of sensory processing. Physiol Rev. 2017 Apr;97(2):553–622.

10. Tzu JH, Moshirfar M, Hsu M, Rosenberg A. Retinal migraine: current understanding and future directions. Clin Ophthalmol. 2014;8:1461–70.

11. Newman NJ, Biousse V. Neuroophthalmology: differential diagnosis of transient visual loss. Neurol Clin. 2003;21(1):145–64.

12. Arora S, Reddy MN. Retinal migraine: a rare cause of monocular visual loss—case report and review of

literature. J Clin Diagn Res. 2016;10(7):ND01–ND03.

13. Cui Y, Zong Y, Liu G, et al. Retinal microvascular alterations in patients with migraine: an optical coherence tomography angiography study Cephalalgia. 2019;39(5):648–56.

14. Byer NE. Reticular degeneration of the retina. Trans Am Acad Ophthalmol Otolaryngol. 1964;68:471–85.

15. Young TJ, Green WR. Pathology of lattice degeneration. Am J Ophthalmol. 1978;86(2):175–87.

16. Schwartz SG, Flynn HW Jr. Retinal tears and lattice degeneration— indications for treatment. In: Ryan SJ, editor. Retina. 5th ed. Philadelphia: Elsevier; 2013. p.1974–86.

Autores: Robinson Barrientos, MD1; Ricardo Urbina, MD1; Nelson Torres Cárdenas, MD1; Ana Luisa González, MD2 1Departamento de Oftalmología, Clínica Oftalmoláser, Caracas, Venezuela. 2Departamento de Oftalmología, Departamento de Investigación, Clínica La Luz, Lima, Perú.

Email: robinbarrientos07@gmail.com

RESUMEN

Objetivos

Reportar el caso de una paciente con diagnóstico de oclusión de rama arterial retiniana inferior secundaria a procedimiento estético tras inyección inadvertida de relleno facial cosmético en las arterias faciales.

Métodos

Se realizó evaluación oftalmológica de una paciente, donde se observó oclusión de rama arterial retiniana inferior unilateral con involucro macular, tras procedimiento estético con inyección de relleno facial en las arterias faciales. Se trataba de una paciente de sexo femenino de 28 años, con diagnóstico de oclusión de rama arterial retiniana presumiblemente producto de inyección cosmética inadvertida en las arterias faciales.

Conclusión

Es posible observar la asociación de oclusión de rama arterial retiniana tras un procedimiento estético con inyección inadvertida en las arterias faciales en un mismo paciente. La evidencia actual no apoya esta premisa, sin embargo, se presume que pueda existir un mecanismo fisiopatológico compartido entre la vía y el sitio de administración en pacientes susceptibles a desarrollar isquemia retiniana aguda.

Palabras clave oclusión arterial retiniana, is quemia macular, arterias faciales, procedimiento estético.

Oclusión de rama arterial retiniana secundaria a procedimiento estético. ¿Algo inadvertido o iatrogénico?

INTRODUCCIÓN

La oclusión de rama arterial retiniana (ORAR), un trastorno frecuente de la vasculatura ocular, se origina por la oclusión de una rama de la arteria central de la retina. Las ORAR representan el 38 % de todas las obstrucciones agudas de la arteria retiniana 1 . La hipoperfusión resultante del tejido retiniano puede provocar pérdida de visión.

Si bien suele describirse ba jo una misma denominación, la afección comprende dos subtipos distintos: ORAR permanente y ORAR transitoria 2 . La oclusión permanente suele causar pérdidas visuales más graves. La ORAR transitoria presenta un mejor pronóstico visual.

Las causas de la ORAR en mujeres son multifactoriales y varían según la edad y la presencia de factores de riesgo sistémicos. En la mayoría de los casos, la ORAR se produce por mecanismos embólicos, siendo los émbolos provenientes de la arteria carótida interna, el arco aórtico o válvulas cardíacas las fuentes más frecuentes. Suelen producirse en la bifurcación de los vasos, y las arterias retinianas temporales se ven afectadas en el 98 % de los casos 3 . El émbolo puede estar compuesto de colesterol o fibrina. Otras fuentes menos comunes de émbolos incluyen válvulas cardíacas calcificadas, émbolos grasos por fracturas de huesos largos, émbolos gaseosos por traumatismos o cirugías, émbolos de talco por consumo de drogas intravenosas y émbolos sintéticos por procedimientos intervencionistas.

Oclusión de rama arterial retiniana secundaria a procedimiento estético. ¿Algo inadvertido o iatrogénico?

Las enfermedades cardiovasculares como la fibrilación auricular y las valvulopatías cardíacas también son causas relevantes, especialmente en mujeres mayores 1-4 .

Finalmente, en mujeres jóvenes, se ha descrito un aumento de casos de ORAR iatrogénica secundaria a la inyección inadvertida de rellenos faciales en arterias faciales 3 La evaluación etiológica debe ser individualizada según la edad y los factores de riesgo presentes 5

La oclusión arterial retiniana produce pérdida visual monocular aguda, cuya gravedad depende del tamaño del vaso ocluido (OACR o ORAR) y de la duración de la oclusión (transitoria o permanente). La oclusión transitoria produce pérdida visual monocular transitoria (PVMT) y se describe mejor como un accidente isquémico transitorio retiniano (AIT) que, como una amaurosis fugaz, término que puede resultar confuso y que debe evitarse. El diagnóstico de PVMT vascular es complejo y, con frecuencia, se basa en la descripción del paciente de una pérdida de visión aguda e indolora en un ojo que dura unos minutos, con una explo ración ocular normal. Dado que muchos trastornos oculares pueden causar visión borrosa transitoria, es fundamental que los pacientes con PVMT sean examinados con urgencia por un oftalmólogo antes de someterse a pruebas exhaustivas 6,7

El aspecto más crítico del manejo de pacientes con ORAR es evaluar su riesgo de ictus. Por consiguiente, todos los pacientes deben someterse a una exploración por un internista con ecografía carotídea y/o ecocardiografía, según sea necesario. La deri vación a un centro especializado en ictus es apropiada 8

La ORAR suele resolverse espontáneamente, especialmente en los casos transitorios. Muchos casos mejoran paulatinamente y depende de la agudeza visual inicial que es el mejor indicador pronóstico. Hay varios estudios que informan que la embolectomía quirúrgica o con láser (Nd-YAG) y/o la endarterectomía carotídea son eficaces con resultados variables para obtener una mejoría visual más rápida, especialmente en casos recientes 9

La terapia anti-VEGF intravítrea y la fotocoagulación láser de la retina isquémica también pueden ser eficaces, los cuales son considerados tratamientos alternativos en ojos con complicaciones neovasculares. Reportamos el caso de una paciente de 28 años, quien presentó isquemia retiniana macular aguda del ojo derecho, posterior a la inyección inadvertida de toxina botulínica (BTX -A) tras un procedimiento quirúrgico estético.

CASO CLÍNICO

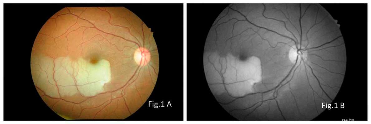
Paciente femenina de 28 años sin antecedentes de importancia, quien consulta al Servicio de Oftalmología refiriendo pérdida súbita indolora de la agudeza visual (AV) unilateral tras procedimiento estético de inyección de toxina botulínica en región facial, paciente refiere aplicación de toxina botulínica en región facial a predominio de frente y región glabelar (toxina botulínica, dosis 40 unidades 2-5 U/kg de abobotulinumtoxina A) 24 horas previa asistencia médica. Paci ente quien no estaba medicada con anticonceptivos orales y/o con medicamentos naturales. Agudeza visual lejana sin corrección (AVLSC) ojo derecho (OD): Movimiento de manos (MM) a 20 cm, (AVLSC) ojo izquierdo (OI): 20/20, Agudeza visual lejana con corrección (AVLCC) OD: MM a 20 cm, (AVLCC) OI: 20/20, presión intraocular (PIO) 12 mmHg ambos ojos. A la biomicroscopía, segmento anterior sin alteraciones. Fondo ocular OD disco óptico de bordes definidos, regla ISNT (inferior, superior, nasal, temporal) conservada, excavación 0.3, emergencia central de los vasos, se evidencia blanqueamiento retiniano en el trayecto de la arteria temporal inferior asociado a la “mancha roja cereza” con presencia de émbolos de plaquetas y fibrina migrando en las ramas inferiores de la rama arteriolar de la arteria central de la retina, retina aplicada.

Fondo ocular OI sin alteraciones. Se le realizaron paraclínicos complementarios, para descartar (síndrome antifosfolípido o alteraciones en factores de la coagulación, VSG- PCR), los cuales no mostraron patrón alguno para la patología que cursaba nuestra paciente.

Se indican estudios imagenológicos diagnósticos: retinografía a color, libre de rojo y autofluorescencia en OD (blanqueamiento arterial retiniano temporal inferior) (Fig. 1 A-B, 2 A) ; OI. Normal.

OCT de mácula en OD con elevación macular de 288 um que muestra capas internas de la retina isquémicas engrosadas a predominio parafoveal nasal, mientras que las capas externas son normales. (Fig. 2 B)

Se realizó observación de cuadro clínico con seguimiento a los 30 días no encontrando mejoría de (AVLSC): MM, se evidencia por Angio-OCT macular 6x6 mm en el patrón EN FACE blanqueamiento retiniano temporal inferior y agrandamiento de la zona avascular foveal (ZAF) (Fig. 3 A) . Dada la evolución, con mejoría de la agudeza visual lejana se decidió observar con manejo multidisciplinario preferentemente hasta su resolución final con (AVLSC): CD 20 cm al tercer mes de evolución.

Este caso cumplió con la Declaración de Helsinki, fue aprobado por el Comité de Ética de la Clínica Oftalmolaser, Caracas, Venezuela.

Oclusión de rama arterial retiniana secundaria a procedimiento estético. ¿Algo inadvertido o iatrogénico?

Fig. 1A: Retinografía a color de Ojo derecho. Oclusión de rama arterial retiniana con involucro macular

Fig. 1B: Retinografía libre de rojo de Ojo derecho. Oclusión de rama arterial retiniana temporal inferior.

Fig. 2A: Autofluorescencia retiniana en ojo derecho, isquemia retiniana macular. Hipoautofluorescencia en área macular.

Fig. 2B: OCT Spectralis Retina Fast en ojo derecho, corte inferior. Muestra edema de capas internas de la retina, con preservación de capas en la retina externa.

Fig. 3A: Angio OCT Macular amplio 6x6mm. Se aprecia aumento de la zona avascular foveal (ZAF).

Oclusión de rama arterial retiniana secundaria a procedimiento estético.
¿Algo inadvertido o iatrogénico?

DISCUSIÓN

Las oclusiones vasculares retinianas agudas son causas frecuentes de discapacidad visual. Si bien tanto las oclusiones de la arteria retiniana como las de la vena retiniana se asocian con la edad avanzada y factores de riesgo cardiovascular, su fisiopatología, implicaciones sistémicas y tratamiento difieren sustancialmente 10 . El tratamiento agudo de las oclusiones de la arteria retiniana requiere un enfoque multidisciplinario que incluye cardiólogos y neurólogos con experiencia en accidentes cerebrovasculares, mientras que el tratamiento de las oclusiones de la arteria retiniana lo realizan oftalmólogos. La optimización de los factores de riesgo sistémicos por parte de los médicos de atención primaria es un componente importante del tratamiento de estos dos trastornos.

Los factores de riesgo sistémicos como hipertensión arterial, diabetes mellitus, dislipidemia, tabaquismo, enfermedad oclusiva carotídea o aterosclerosis, enfermedad arterial coronaria y obesidad están presentes en una proporción significativa de pacientes con ORAR, y su prevalencia aumenta con la edad 11

En mujeres jóvenes sin factores de riesgo cardiovascular clásicos, las etiologías más comunes incluyen anomalías cardíacas estructurales o funcionales (como el foramen oval permeable), terapia hormonal femenina y vasculitis, incluyendo la arteritis de células gigantes (ACG), que puede afectar tanto a mujeres jóvenes como mayores, aunque es más prevalente en mayores de 50 años. En este grupo, también se han reportado casos idiopáticos y asociaciones con migraña 3,11

En la ORAR permanente, el 74 % de los pacientes presenta una AV de 20/40 o mejor; en aquellos con ORAR transitoria, el 94 % presenta una AV de 20/40 o mejor 12 . La isquemia retiniana se manifiesta con mayor frecuencia por la presencia de exudados algodonosos (infartos de la capa de fibras nerviosas) y blanqueamiento retiniano en el examen de fondo de ojo. En la ORAR, este blanqueamiento retiniano sigue el trayecto de una rama arterial 13 . En el examen de fondo de ojo se pueden observar émbolos retinianos en el 62 % de los casos 14 , siendo la localización más frecuente la bifurcación, donde el diámetro luminal es más estrecho. Hasta el 25 % de los ojos poseen una arteria cilioretiniana que se origina en la circulación coriorretiniana y, por lo tanto, se conserva en la OACR y las ORAR agudas. Estos pacientes pueden conservar una agudeza vi sual relativamente buena a pesar de presentar campos visuales muy anormales 15 .

El diagnóstico de isquemia retiniana aguda puede ser difícil en las primeras horas tras la pérdida visual; en estos casos, la tomografía de coherencia óptica (OCT) resulta útil al mostrar el edema de la retina interna de forma

aguda y adelgazamiento retiniano en etapas más avanzadas. La angiografía fluoresceínica (AF) retiniana puede mostrar oclusiones arteriales y perfusión arterial retiniana retardada, pero requiere tiempo y generalmente no es necesaria en la fase aguda. En entornos clínicos donde no haya un oftalmólogo disponible, la retinografía digital no midriática con interpretación remota puede permitir el diagnóstico inmediato 1,16

La evaluación carotídea es imprescindible cuando no se identifica otra etiología en pacientes de edad avanzada, y el estudio ecocardiográfico bidimensional o transesofágico de las válvulas cardíacas y la aorta ayuda a localizar fuentes embólicas de oclusiones retinianas 4,17 . Se debe solicitar una resonancia magnética cerebral cuando se sospeche el síndrome de Susac.

La sedimentación globular y la determinación de la proteína C reactiva son pruebas importantes para determinar si la oclusión de la arteria central de la retina se produce secundariamente a la ACG, hecho importante para dilucidar iniciar dosis altas de esteroides sistémicos y planificar biopsia de la arteria temporal.

Se han reportado oclusiones arteriales retinianas bilaterales asociadas a retinopatía anémica con extravasación de sangre hacia la retina debido a una vasodilatación como respuesta de la isquemia 15 . Asimismo, los agentes quimioterapéuticos utilizados para el tratamiento de sarcomas y neoplasias hematológicas suprimen la médula ósea y pueden contribuir en la aparición de isquemia retiniana 18 . Por lo anterior, la anamnesis e imágenes diagnósticas pueden orientar el diagnóstico y asociar la etiología.

La paciente de este caso refirió aplicación de BTX-A en región glabelar y la frente, horas previas de presentar oclusión de rama arterial retiniana, a la fecha hay reducida evidencia de la relación con isquemia retiniana, siendo su prevalencia menor al 0,4% 2,3 . La inyección inadvertida de BTX-A es un fenómeno raro pero devastador, puede causar complicaciones oftalmológicas graves si el producto se introduce accidentalmente en el globo ocular o en vasos sanguíneos faciales que tienen comunicación con la arteria oftálmica, lo que puede provocar embolización retrógrada y oclusión de la arteria central de la retina (OACR) o de ramas de la arteria retiniana como el presente caso. Aunque la BTX-A está aprobada por la FDA en Estados Unidos de América para diversas indicaciones, incluyendo blefaroespasmo y estrabismo, su administración debe ser estrictamente intramuscular y evitar la inyección intr avascular o intraocular 1,7 . En el caso específico de la BTX-A, existen reportes de complicaciones intraoculares como desprendimiento de retina tras inyección intraocular ac cidental, pero no se ha demostrado toxicidad directa de la toxina sobre los tejidos intraoculares humanos. Sin embargo, la inyección intraocular no está indicada y puede causar daño mecánico 2,3

Oclusión de rama arterial retiniana secundaria a procedimiento estético.

¿Algo inadvertido o iatrogénico?

El tratamiento de la ORAR debe ser individualizado 15 Según los protocolos de tratamiento la primera línea de tratamiento debe ser la valoración multidisciplinaria con especialista en cardiología, medicina interna, neurología y oftalmología, hecho que fue realizado en nuestro caso. La terapia anti VEGF intravítrea y el tratamiento con fotocoagulación láser de la retina isquémica en casos de complicaciones neovasculares, resulta útil. La embolectomía quirúrgica o con láser Nd:YAG es una opción con resultados variables, aunque con alta tasa de complicaciones 5,12,14 . La terapia antiplaquetaria y la endarterectomía carotídea tiene indicación en casos severos o casos de larga evolución que precisen de la evacuación del coágulo por mayor riesgo de isquemia retiniana 7,11,14 .

CONCLUSIÓN

La etiología que subyace la isquemia retiniana debe ser explorada en la anamnesis y examen oftalmológico, en donde actividades de rutina, uso de medicamentos, antecedentes quirúrgicos y algunas comorbilidades asociadas, pueden orientar el diagnóstico y la gravedad del caso. Aunque el pronóstico generalmente depende de la AV inicial, el manejo de estas complicaciones es limitado y se basa en la prevención y en el reconocimiento temprano de los factores de riesgo asociados a los procedimientos médicos y cosméticos.

ABREVIATURAS

Angiografía fluoresceínica (FA)

Tomografía Coherencia óptica (OCT)

Referencias bibliográficas:

1. Mason JO, 3rd, Shah AA, Vail RS, Nixon PA, Ready EL, Kimble JA. Oclusión de la arteria retiniana de rama: pronóstico visual. American journal of ophthalmology. Sep 2008;146(3):455-457.

2. Scott IU, Campochiaro PA, Newman NJ, Biousse V. Retinal vascular occlusions. Lancet. 2020 Dec 12;396(10266):1927-1940. doi: 10.1016/S01406736(20)31559-2. PMID: 33308475; PMCID: PMC9546635.

3. Lee JS, Kim JY, Jung C, Woo SJ. Iatrogenic ophthalmic artery occlusion and retinal artery occlusion. Prog Retin Eye Res. 2020 Mar 10:100848. doi: 10.1016/j.preteyeres.2020.100848. Epub ahead of print. PMID: 32165219.

4. Liu M, Lee HC, Hertle RW, Ho AC. Retinal detachment from inadvertent intraocular injection of botulinum toxin A. Am J Ophthalmol. 2004 Jan;137(1):201-2. doi: 10.1016/s0002-9394(03)00837-7. PMID: 14700677.

5. Hayreh SS. Trastornos vasculares oclusivos oculares: historia natural del resultado visual. Prog Retin Eye Res. Jul 2014; 41:1-25.

6. Ros MA, Magargal LE, Uram M. Obstrucción de la arteria retiniana de la rama: una revisión de 201 ojos Anales de oftalmología. Marzo de 1989;21(3):103-107.

7. Greco A, De Virgilio A, Gallo A, et al. Síndrome de

Oclusión de rama arterial retiniana (ORAR)

Oclusión de arteria central de la retina (OACR)

Neodimio hialoidotomía con granate de itrio y aluminio dopado (Nd-YAG)

Agudeza Visual (AV)

Agudeza visual lejana sin corrección (AVLSC)

Agudeza visual lejana con corrección (AVLCC)

Movimiento de manos (MM)

Pérdida visual monocular transitoria (PVMT)

Accidente isquémico transitorio retiniano (AIT)

Arteritis de células gigantes (ACG)

Presión Intraocular (PIO)

Factor de crecimiento vascular endotelial (VEGF)

Toxina botulínica (BTX-A)

Susac: patogenia, variantes clínicas y enfoques terapéuticos. Autoimmunity reviews. Ago 2014;13(8):814-821.

8. Tappeiner C, Garweg JG. Oclusión vascular retiniana tras vitrectomía con anestesia retrobulbar: serie de casos observacionales y revisión de la literatura. Archivo de Graefe para oftalmología clínica y experimental = Albrecht von Graefes Archiv für klinische und experimentelle Ophthalmologie. Dic. 2011;249(12):1831-1835.

9. Hayreh SS, Podhajsky PA, Zimmerman MB. Oclusión de la arteria retiniana: anomalías sistémicas y oftalmológicas asociadas. Oftalmología. Octubre de 2009;116(10):1928-1936.

10. Stepanov A, Hejsek L, Jiraskova N, Feuermannova A, Rencova E, Rozsival P. Oclusión transitoria de rama arterial retiniana en una niña de 15 años y revisión de la literatura. Biomed Pap Med Fac Univ Palacky Olomouc Czech Repub. Sep 2015;159(3):508-511.

11. Murthy RK, Grover S, Chalam KV. Documentación secuencial mediante OCT de dominio espectral de los cambios retinianos tras la oclusión de una rama de la arteria retiniana. Clinical ophthalmology (Auckland, NZ). 2010; 4:327-329.

12. Goldenberg-Cohen N, Dadon S, Avraham BC, et al. Cambios moleculares e histológicos tras la oclusión de la arteria central de la retina en un modelo de ratón. Investigación ocular experimental. Octubre de 2008;87(4):327-333.

13. Coady PA, Cunningham ET, Jr., Vora RA, et al. Hallazgos de tomografía de coherencia óptica de dominio espectral en ojos con blanqueamiento retiniano isquémico agudo. The British journal of ophthalmology. Mayo de 2015;99(5):586-592.

14. Hayreh SS, Podhajsky PA, Zimmerman MB. Oclusión de la arteria retiniana de rama: historia natural del resultado visual. Oftalmología. Junio 2009;116(6):11881194 e1181-1184.

15. Lawlor M, Perry R, Hunt BJ, Plant GT. Ictus y visión: Tratamiento de la enfermedad arterial isquémica que afecta a la retina y al lóbulo occipital. Survey of Ophthalmology. Jul-Ago 2015;60(4):296-309.

16. Hayreh SS, Podhajsky P. Neovascularización ocular con oclusión vascular retiniana. II. Incidencia en la oclusión de la arteria retiniana central y de sus ramas. Archives of ophthalmology. Oct 1982;100(10):1585-1596.

17. Eisenstein D. H. (2012). Anticoagulation management in the ambulatory surgical setting. AORN journal, 95(4), 510–524. https://doi.org/10.1016/j.aorn.2012.01.018

18. He, X., Chen, A. F., Nirwan, R. S., Sridhar, J., & Kuriyan, A. E. (2020). Perioperative Management of Anticoagulants in Ocular Surgeries. International ophthalmology clinics, 60(3), 3–15. https://doi.org/10.1097/IIO.0000000000000316

Distrofia endotelial de Fuchs: una nueva era en la cirugía corneal con DSO y ripasudil

Autores: Dra. Alejandra Botero Benítez, Dra. Isabel de la Fuente Batta y Dr. Mauricio Muleiro-Alvarez. Coordinadores: Dr. Guillermo Raúl Vera Duarte y Dr. Nicolás Kahuam-López.

Instituto de Oftalmología Fundación Conde de Valenciana IAP, Ciudad de México, México. Conflictos de interés: Los autores declaran que no existen conflictos de interés en relación con la publicación de este artículo.

Resumen

La distrofia endotelial de Fuchs (FECD) es una enfermedad corneal progresiva no inflamatoria que ocasiona pérdida de transparencia y visión borrosa. Su coexistencia con catarata senil es frecuente, dada la edad habitual de presentación. Se caracteriza por la pérdida progresiva de las células endoteliales, lo que genera edema e stromal, formación de guttae y deterioro visual. Actualmente se reconoce como una patología multifactorial influenciada por factores genéticos, ambientales y moleculares, más que un proceso meramente senescente. Se presenta el caso de una paciente con distrofia endotelial de Fuchs y catarata senil bilateral, tratada mediante descemetorrexis s in queratoplastia endotelial (Descemet Stripping Only, DSO) combinada con facoemulsificación e implante de lente intraocular, con evolución visual excelente y recuperación corneal acelerada tras el uso coadyuvante de ripasudil. La DSO emerge como una alternativa prometedora en casos leves o moderados, al evitar el uso de tejido donador y aprovechar la capacidad regenerativa del endotelio periférico.

Caso Clínico

Paciente femenina de 72 años sin antecedentes sistémicos relevantes, referida por presentar ardor ocular, fotofobia y halos luminosos. A la exploración, mostró agudeza visual sin corrección de 20/100 en ojo derecho y 20/50 en ojo izquierdo, con queratitis punteada superficial 2+ y cristalino NO2NC2 en ambos ojos. Los estudios de imagen confirmaron distrofia endotelial de Fuchs y la presencia de catarata senil. Se realizó descemetorrexis sin queratoplastia endotelial (Descemet Stripping Only, DSO) combinada con facoemulsificación e implante de lente intraocular bilateral, con excelente respuesta clínica sumada al uso de ripasudil.

Conclusión

La distrofia endotelial de Fuchs representa una causa frecuente de indicación de trasplante corneal; sin embargo, las técnicas emergentes como la DSO ofrecen resultados prometedores en casos leves o moderados, evitando el uso de tejido donador. El diagnóstico temprano y el manejo integral permiten preservar la visión y reducir la necesidad de queratoplastia.

Palabras clave

Distrofia endotelial de Fuch s (FECD), Descemet Stripping Only (DSO), DMEK, cirugía de catarata, endotelio corneal, inhibidores ROCK.

Introducción

La distrofia endotelial de Fuchs (FECD) es una enfermedad degenerativa caracterizada por la pérdida progresiva de las células endotel iales y el engrosamiento de la membrana de Descemet, que provocan edema estromal y pérdida de transparencia corneal 1,2 . Su prevalencia aumenta con la edad y es más frecuente en mujeres caucásicas, siendo una de las principales causas de trasplante corneal a nivel mundial 1,2

El endotelio corneal cumple un papel esencial en el mantenimiento de la transparencia mediante la regulación del equilibrio hídrico entre el humor acuoso y el estroma. Cuando su función de bomba se deteriora, se acumula líquido en las capas corneales, lo que genera edema y deterioro visual progresivo 3

Distrofia endotelial de Fuchs: una nueva era en la cirugía corneal con DSO y ripasudil.

Durante décadas, la queratoplastia penetrante (QPP) fue el tratamiento de elección; sin embargo, implicaba una rehabilitación visual prolongada y un riesgo elevado de rechazo inmunológico. El desarrollo de técnicas lamelares, como la queratoplastia endotelial automatizada (DSAEK) y la queratoplastia endotelial de membrana de Descemet (DMEK), representó un avance significativo al reemplazar solo las capas afectadas y mejorar la recuperación visual 3,4 , aunque siguen dependiendo de tejido donador y pueden asociarse a falla primaria o desprendimiento del injerto.

En los últimos años, la técnica Descemet Stripping Only (DSO) ha emergido como una alternativa menos invasiva y fisiológicamente restaurativa. Este procedimiento consiste en eliminar selectivamente el endotelio central enfermo, permitiendo que las células viables de la periferia migren hacia el área descemetorrexada y repueblen la zona central sin requerir injerto 4,5 . Diversos estudios han mostrado resultados visual es comparables entre DSO y DMEK, con menor tasa de complicaciones en el grupo sometido a DSO. 6

La incorporación de inhibidores de la Rho-quinasa (ROCK), como ripasudil o netarsudil, ha potenciado la eficacia de esta técnica al acelerar la migración y proliferación endotelial. Estos agentes modulan la vía RhoA–ROCK–actina, promoviendo la adhesión y la supervivencia celular y mejorando la función de la bomba endotelial 5,7 . Su uso adyuvante tras DSO ha demostrado acelerar el aclaramiento corneal y favorecer una recuperación visual más rápida 8 .

El presente reporte describe el caso de una paciente con FECD y catarata senil bilateral, tratada mediante DSO combinada con facoemulsificación e implante de lente intraocular, con recuperación visual satisfactoria y resolución completa del edema corneal tras el uso coadyuvante de ripasudil.

Paciente de sexo femenino de 72 años, sin antecedentes sistémicos relevantes, que acude por ardor ocular, fotofobia, halos luminosos y sensación de cuerpo extraño bilateral. En la exploración inicial, la agudeza visual sin corrección (AVSC) fue de 20/100 en el ojo derecho (OD) y 20/50 en el ojo izquierdo (OI). En la biomicroscopía se observaron guttae centrales y edema epitelial leve sin signos inflamatorios. La presión intraocular se encontraba dentro de límites normales y el fondo de ojo era normal en ambos ojos.

Se indicó tratamiento preoperatorio con ripasudil al 0.4% y hialuronato de sodio al 0.15% cada seis horas durante varias semanas. La microscopía especular reportó densidad celular endotelial de 562 células/mm² en el OD y 557 células/mm² en el OI, con polimegatismo de 23% y 30%, respectivamente, y pleomorfismo de 67% en el OD.

La tomografía corneal (Pentacam, Oculus, Germany) mostró una paquimetría central de 548 μm en el OD y 566 μm en el OI, con queratometrías máximas de 6.4 D y 6.3 D, respectivamente.

Se realizó DSO combinada con facoemulsificación e implante de lente intraocular en el ojo derecho. El procedimiento transcurrió sin complicaciones intraoperatorias. La evolución visual fue favorable: a la semana, la AVsc era de 20/70; al mes, 20/50; y a los dos meses, 20/25, con aclaramiento corneal progresivo y resolución del edema.

Tres meses después, se realizó el mismo procedimiento en el ojo izquierdo, con recuperación visual similar. A la primera semana, la AVsc fue de 20/40 y la córnea se observó transparente, sin signos de descompensación endotelial.

La paciente continuó en seguimiento con tratamiento tópico de mantenimiento con ripasudil durante cuatro semanas y lubricación frecuente. A los tres meses de la segunda cirugía, ambos ojos presentaban transparencia corneal completa, sin recurrencia de edema ni signos de inflamación, con agudeza visual final de 20/25 en OD y 20/30 en OI.

Discusión

La FECD representa una de las enfermedades corneales degenerativas más frecuentes, caracterizada por la pérdida gradual de células endoteliales, la presencia de guttae y la formación de edema estromal 1,2 Aunque su presentación es más común en mujeres mayores de 60 años, también se han descrito casos en adultos más jóvenes, especialmente con antecedentes familiares. La enfermedad tiene un curso lentamente progresivo y suele manifestarse de forma bilateral, con visión borrosa matutina, halos luminosos y deslumbramiento gradual 3

Histológicamente, la presenci a de guttae en la membrana de Descemet constituye el signo distintivo, reflejando el daño endotelial crónico 4 En fases avanzadas, la disminución crítica de la densidad celular conduce al desarrollo de edema estromal y epitelial, con pérdida de transparencia

CÓRNEA - REPORTE DE CASO

Distrofia endotelial de Fuchs: una nueva era en la cirugía corneal con DSO y ripasudil.

corneal y deterioro de la calidad visual. El diagnóstico se establece mediante biomicroscopía, microscopía especular y estudios de imagen como la tomografía de Scheimpflug (Pentacam), que permiten detectar edema subclínico y cuantificar la densidad endotelial central y periférica 5,10

Durante décadas, la queratoplastia penetrante (QPP) fue el tratamiento de elección; sin embargo, se asocia con complicaciones relevantes como rechazo inmunológico, astigmatismo irregular y prolongada rehabilitación visual 1,2 La introducción de técnicas lamelares, como la queratoplastia endotelial automatizada (DSAEK) y la queratoplastia endotelial de membrana de Descemet (DMEK), permitió una recuperación visual más rápida al sustituir únicamente las capas afectadas. 8 No obstante, estos procedimientos siguen requiriendo tejido donador, con riesgo de falla primaria del injerto o desprendimiento, particularmente cuando se combinan con cirugía de catarata3,4

En este contexto, la técnica Descemet Stripping Only (DSO) ha surgido como una alternativa innovadora y

menos invasiva. Este procedimiento elimina selectivamente el endotelio central afectado, permitiendo que las células viables de la periferia migren y repueblen el área descemetorrexada, restaurando la función corneal sin necesidad de injerto 4,5 Diversos estudios comparativos, como el de Díaz-Mesa et al. 9 , han mostrado resultados visuales equivalentes entre DMEK y DSO, pero con menor tasa de complicacion es y una resolución del edema más temprana cuando se utiliza ripasudil como coadyuvante 9 Los hallazgos de este caso coinciden con lo reportado por Hakim et al. 8 , quienes documentaron una tasa de aclaramiento corneal del 92 % y mantenimiento de transparencia ce ntral durante más de cinco años en pacientes sometidos a DSO. Estos resultados confirman la estabilidad funcional a largo plazo y respaldan la viabilidad de la técnica en casos leves o moderados, particularmente cuando se conserva un endotelio periférico funcional.

El éxito del DSO depende de una adecuada selección del paciente. Una densidad celular periférica suficiente y un

Figura 1. Evaluación preoperatoria. Ojo derecho: (A) Biomicroscopía en hendidura con edema corneal central difuso y guttae múltiples. (B) Corte óptico: cristalino con cambios escleróticos (catarata nuclear) y disminución de transparencia corneal. (C) OCT de segmento anterior con engrosamiento corneal central y pérdida de definición de capas posteriores (edema estromal). Ojo izquierdo: (D) Guttae centrales confluentes y edema leve-moderado sin afectación periférica significativa. (E) Retroiluminación con opacidades nucleares y pérdida de transparencia central, compatibles con catarata senil asociada a FECD. (F) OCT de segmento anterior con engrosamiento corneal central y cara posterior irregular, compatibles con edema estromal por disfunción endotelial.

CÓRNEA - REPORTE DE CASO

Distrofia endotelial de Fuchs: una nueva era en la cirugía corneal con DSO y ripasudil.

diámetro de descemetorrexis cercano a 4 mm son determinantes para lograr una repoblación central efectiva. En el caso presentado, la paciente mostró una recuperación visual rápida y sostenida tras el procedimiento, con densidad endotelial postoperatoria superior a 550 células/mm² y aclaramiento corneal completo en ambos ojos.

El advenimiento de los inhibidores de la Rho-quinasa (ROCK), como ripasudil y netarsudil, ha demostrado estimular la migración, adhesión y supervivencia de las células endoteliales, además de acelerar la restauración de la transparencia corneal 6.7 Estudios experimentales de la Universidad de Harvard evidenciaron que el uso de ripasudil incrementa la velocidad de migración celular mediante la activación de la vía Rac1–ARP2/3, que reorganiza el citoesqueleto y promueve la formación de lamelipodios, esenciales para la movilidad celular 7 . El ensayo clínico DETECT II corroboró estos hallazgos, mostrando que la aplicación tópica de ripasudil tras DSO acelera la resolución del edema y mejora la densidad celular central en comparación con el grupo control 10 Estos resultados sustentan que la combinación de DSO y terapia farmacológica con inhibidores ROCK

puede optimizar la regeneración endotelial y reducir la necesidad de trasplante en estadios leves o moderados de la enfermedad.

La evaluación preoperatoria avanzada desempeña un papel esencial. Estudios tomográficos han demostrado que parámetros como el incremento del grosor corneal central y la mayor reflectividad posterior son predictores de descompensación endotelial en pacientes con FECD que serán sometidos a cirugía de catarata 5,10 Esta información resulta crítica para seleccionar a los candidatos adecuados y planificar procedimientos combinados con un enfoque conservador del endotelio.

De manera general, la evidenci a actual respalda el DSO como una opción segura y eficaz en casos tempranos o intermedios de FECD, especialmente cuando se combina con cirugía de catarata y tratamiento con inhibidores ROCK.

No obstante, la selección cuidadosa del paciente, la experiencia quirúrgica y un seguimiento estrecho son fundamentales para garantizar el éxito y minimizar el riesgo de recurrencia o pérdida de transparencia.

Figura 2. Evaluación posoperatoria. Ojo derecho: (A) A las 24 horas con edema corneal leve y pérdida parcial de transparencia central. (B) 1 mes: córnea clara, cámara anterior transparente y recuperación total de la transparencia central. (C) OCT con espesor corneal normalizado y arquitectura estromal restaurada. Ojo izquierdo: (D) A las 24 horas, se observa córnea transparente con edema leve y pliegues en Descemet; epitelio íntegro. (E) Iluminación en hendidura y magnificada: superficie regular, se observan pliegues en Descemet. (F) OCT al mes con disminución del grosor corneal central y resolución progresiva del edema.

CÓRNEA - REPORTE DE CASO

Distrofia endotelial de Fuchs: una nueva era en la cirugía corneal con DSO y ripasudil.

Complementariamente, la revisión de Jukić et al. 7 enfatiza que los inhibidores ROCK no solo promueven la reparación tisular, sino que también reducen la secreción anómala de matriz extracelular y la transición endoteliomesenquimal, procesos fundamentales en la fisiopatología de la FECD. Aunque se han descrito efectos adversos leves, como hiperemia conjuntival o edema epitelial reticular (“honeycomb edema”), su incidencia es baja y no afecta la eficacia terapéutica.

Desde una perspectiva fisiopatológica, estudios recientes confirman que la FECD no es exclusivamente un proceso ocular degenerativo, sino un a enfermedad multifactorial modulada por mecanismos de estrés oxidativo, disfunción mitocondrial y alteraciones sistémicas. Böhm et al. 1 identificaron asociaciones entre la progresión de la enfermedad y factores como el tabaquismo, la dieta pobre en antioxidantes y trastornos metabólicos, subrayando la necesidad de un abordaje integral que incluya factores sistémicos y ambientales.

En el ámbito quirúrgico, la coexistencia de catarata y FECD representa un desafío adicional. Chuckpaiwong et al. 11 reportaron que los pacientes con FECD sometidos a facoemulsificación presentan un riesgo incrementado de falla endotelial, 26 por 1000 persona-años, especialmente ante complicaciones intraoperatorias o uso elevado de energía ultrasónica. Estos hallazgos refuerzan la importancia de planificar cuidadosamente los procedimientos combinados, como el DSO con cirugía de catarata, para reducir el riesgo de descompensación endotelial posoperatoria.

Los avances en imagenología tomográfica han permitido identificar predictores de descompensación corneal, como el aumento del grosor central y la reflectividad posterior, facilitando la selección precisa de candidatos para cirugía regenerativa. En este caso, la integración de la tomografía de Scheimpflug y la microscopía especular permitió confirmar la viabilida d endotelial periférica y planificar el abordaje con precisión.

En conjunto, la evidencia contemporánea posiciona al DSO como una técnica quirúrgica segura, fisiológicamente restaurativa y coste-efectiva para el manejo de la FECD en etapas tempranas o moderadas. Su combinación con inhibidores de la Rho-quinasa potencia la regeneración celular, acelera los tiempos de recuperación y reduce la necesidad de trasplante. Si bien la queratoplastia endotelial sigue siendo el estándar en casos avanzados, el enfoque regenerativo basado en DSO y terapia farmacológica representa un cambio de paradigma hacia la preservación endotelial y la cirugía corneal mínimamente invasiva.

Conclusión

La distrofia endotelial de Fuchs constituye una causa relevante de deterioro visual en adultos mayores. Las técnicas quirúrgicas emergentes, como la descemetorrexis sin queratoplastia endotelial (Descemet Stripping Only, DSO), combinadas con cirugía de catarata y el us o coadyuvante de inhibidores de Rho-quinasa, ofrecen una alternativa segura y eficaz en casos leves o moderados. Este enfoque aprovecha la capacidad regenerativa del endotelio periférico, disminuye la de pendencia de tejido donante y acelera la recuperación visual. En conjunto, el DSO representa un avance significativo hacia una cirugía corneal regenerativa y mínimamente invasiva en el manejo de la FECD asociada a catarata.

Agradecimientos

Los autores agradecen a la Opt. Yazmín Cortés Gallardo por su valiosa colaboración y apoyo en la realización de este trabajo.

Referencias bibliográficas:

1. Böhm M, Kaufman AR, Kahale F, et al. Fuchs Endothelial Corneal Dystrophy Associations with Systemic Disease, Lifestyle, and Nutritional Intake. Ophthalmol Sci. 2026;6:100899. doi:10.1016/j.xops.2025.100899.

2. Nanavaty MA, Wang X, Shortt AJ. Endothelial keratoplasty versus penetrating keratoplasty for Fuchs endothelial dystrophy. Cochrane Database Syst Rev. 2014;2014:CD008420. doi:10.1002/14651858.CD008420.pub3.

3. Moayed F, Steindor FA, Armeni ZE, et al. 10-Year outcome of descemet stripping only in a patient with Fuchs endothelial dystrophy: a case report. Therapeutic Advances in Ophthalmology. 2025. doi:10.1177/25158414251359583.

4. Alves-Ambrósio J, Miranda V, Aguiar CP, et al. Assessment of tomographic parameters and detection of subclinical edema in Fuchs’ endothelial corneal dystrophy pre-cataract surgery. Int J Ophthalmol. 2025;18:590-597. doi:10.18240/ijo.2025.04.04.

5. Leong EYX, Ding J, Wu D, et al. A Comprehensive Review of the Role of RhoKinase Inhibitors in Corneal Diseases. Life (Basel). 2025;15. doi:10.3390/life15081283.

6. Parekh M, Miall A, Chou A, et al. Enhanced Migration of Fuchs Corneal Endothelial Cells by Rho Kinase Inhibition: A Novel Ex Vivo Descemet’s Stripping Only Model Cells. 2024;13. doi:10.3390/cells13141218.

7. Jukić A, Pupić Bakrač A, Đapic Ivančić B, et al. Rho-kinase inhibitors in the management of Fuchs endothelial corneal dystrophy: A review. Medicina (Kaunas). 2025;61:772. doi:10.3390/medicina61050772.

8. Hakim FE, Nagra AK, Dhaliwal DK. Descemet Stripping Only: Long-Term Outcomes. Cornea. 2024;43:994-998. doi:10.1097/ICO.0000000000003421.

9. Díaz-Mesa V, Sánchez-Ventosa Á, González-Cruces T, et al. Comparative Analysis of Descemet Membrane Endothelial Keratoplasty (DMEK) Versus Descemetorhexis Without Keratoplasty (DSO) in Patients with Fuchs Endothelial Corneal Dystrophy. J Clin Med. 2025;14. doi:10.3390/jcm14144857.

10. Lin CC, Chamberlain W, Benetz BA, et al. Descemet Endothelial Thickness Comparison Trial II (DETECT II): multicentre, outcome assessor-masked, placebocontrolled trial comparing Descemet membrane endothelial keratoplasty (DMEK) to Descemet stripping only (DSO) with adjunctive ripasudil for Fuchs dystrophy. BMJ Open Ophthalmol. 2024;9. doi:10.1136/bmjophth-2024-001725.

11. Chuckpaiwong V, Muakkul S, Phimpho P, et al. Incidence and Risk Factors of Corneal Endothelial Failure after Phacoemulsification in Patients with Fuchs Endothelial Corneal Dystrophy: A 13-Year Retrospective Cohort. OPTH. 2021;15:2367-2373. doi:10.2147/OPTH.S315436.

Perlas de la AAO 2025

Por el Dr. Ramiro Daud. Centro Oftalmológico Daud. La Banda, Santiago Del Estero.

La Academia Americana de Oftalmología (AAO 2025), realizada en Orlando, fue una experiencia sumamente enriquecedora que reunió a especialista s de todo el mundo para compartir los últimos avances en diagnóstico, cirugía y tratamiento de las enfermedades oculares. El evento se destacó por la calidad científica de sus simposios y por la posibilidad de interactuar con referentes internacionales en cada subespecialidad.

Entre los temas más relevantes se destacaron los avances en cirugía de catarata asistida por inteligencia artificial, las nuevas plataformas de cirugía refractiva de precisión, y las actualizaciones en terapias mínimamente invasivas para el glaucoma. También se presentaron innovaciones en diagnóstico por imágenes, especialmente en tomografía de coherencia óptica (OCT) de alta resolución y sistemas de análisis automatizado de la superficie ocular.

Otro eje importante fue el abordaje integral del paciente con enfermedades maculares, donde se discutieron nuevas moléculas anti-VEGF de acción prolongada y terapias génicas en desarrollo. En paralelo, se hizo hincapié en la importancia de la personalización del tratamiento en función del perfil genético y las características anatómicas de cada paciente.

Participar en la AAO 2025 permitió reforzar la actualización profesional y traer al Centro Oftalmológico Daud nuevas herramientas diagnósticas y quirúrgicas que mejoran la calidad de atención de nuestros pacientes. La constante capacitación y el intercambio internacional son pilares fundamentales para mantenernos a la vanguardia en el cuidado de la salud visual.

flashes de

OftalmoCórdoba 2025 volvió a confirmar que algo especial sucede cuando la ciencia se comparte con pasión. Más de 800 oftalmólogos de Argentina y Latinoamérica se reunieron para vivir tres días de aprendizaje intenso, debates reales, cirugías en vivo, comunidad y emoción.

El congreso abrió con el ya tradicional

Subspecialty Day, que este año volvió a explotar en calidad y participación. Desde trasplante endotelial, cirugía angular, IPCL y superficie ocular hasta láser estético y técnica de Yamane, los cursos estuvieron al límite de capacidad, mostrando el compromiso de quienes quieren formarse haciendo.

Los premios y reconocimientos fueron un momento de emoción compartida, celebrando el talento y el espíritu colaborativo.

La presencia internacional fue un regalo académico. Entre los 32 invitados, brilló la figura de Uday Devgan, quien con su claridad y humildad dejó enseñanzas memorables en “The Best of CataractCoach” y en las cirugías en vivo. La participación del equipo de Facoextrema, liderado por Gerardo Valvecchia, volvió a generar ovaciones con su mezcla única de técnica, casos desafiantes y adrenalina educativa.

Hubo retina disruptiva, glaucoma actualizado, estética ocular con tecnología aplicada, pediatría, baja visión con IA y un fuerte espacio para los oftalmólogos jóvenes.

OftalmoCórdoba agradece a sus directores científicos: Dr. Germán Bianchi, Dr. Ticiano Giobellina, Dr. Noé Rivero, Dr. Andrés Giobellina y Dr. Hugo Acosta.

A los disertantes, panelistas, invitados y asistentes: gracias por hacer posible este encuentro.

A la industria, por su apoyo comprometido para sostener el congreso científico más importante del interior del país.

Porque la ciencia se enseña, pero la pasión se contagia.

Save the Date: 1, 2 y 3 de octubre de 2026

Turn static files into dynamic content formats.

Create a flipbook
Issuu converts static files into: digital portfolios, online yearbooks, online catalogs, digital photo albums and more. Sign up and create your flipbook.