OftalmoNews_Nº53-julio AGO--2025

Page 1


Estimados lectores:

Este editorial es una invitación especial para participar en el evento más convocante y disruptivo del año, en donde héroes vs. villanos les harán vivir una experiencia que se supera en cada edición. Sumate ya a FacoeXtrema ! la cita es en el Centro de Convenciones de Bs. As. del 21 al 23 de agosto. Encontrás info de contenidos en APP IOS, APP GOOGLE PLAY, IG, FACOEXTREMA WEB, YOUTUBE, ON DEMAND y Xtv. Durante el Congreso más extremo del 2025 te vas a encontrar con las habituales cirugías en vivo y los diferentes Simposios así como también con la exposición comercial de las empresas sponsors del evento. No te pierdas en estas páginas más novedades y la nómina de todos los invitados extranjeros.

Les adelantamos algunos títulos de este número 53: Sombras retinoscópicas en la seccion Refracción y dos Reportes de Casos: Linfoma conjuntival y Demodex; y las recomendaciones de la industria que siempre nos apoya y acompaña. No dejen de visitar nuestro Instagram @oftalmo.news, donde publicamos periódicamente información sobre ateneos, charlas y cursos así como las novedades que presentan para Uds. nuestros anunciantes.

Nos vemos en FacoeXtrema !!!

Las Editoras

Innovación argentina con impacto en la salud pediátrica mundial

El Hospital Garrahan marca un antes y un después en la lucha contra el retinoblastoma, el tumor ocular más frecuente en la infancia. Su innovador proyecto de investigación traslacional recibió el premio ARVO, entregado por la rganización internacional más prestigiosa en investigación ocular por su carácter innovador y su potencial para transformar el tratamiento de esta enfermedad a nivel global con soluciones más seguras y accesibles para los niños afectados.

A cargo de un equipo multidisciplinario liderado por la Dra. Paula Schaiquevich e integrado por los doctores Adriana Fandiño (exjefa del Servicio de Oftalmología H. Garrahan), Soledad Guillén (Médica Oftalmóloga, Directora Médica H. Alta Complejidad Bicentenario Esteban Echeverría), Franco Benvenuto (Médico Oftalmólogo, H. Garrahan y H. Bicentenario), y Alan Vater (Médico Veterinario, H. Garrahan), entre otros, el proyecto evalúa el uso de gemcitabina. Este quimioterápico, utilizado actualmente para el tratamiento de otros tumores, según los estudios realizados en cultivos celulares tumorales, sería un agente activo contra el retinoblastoma que afecta a uno de cada 17.000 niños nacidos.

tectan en el país entre 40 y 45 casos nuevos de retinoblastoma en menores de 15 años.

La investigación se apoya en la plataforma de imagenología oftálmica avanzada Apollo MicroClear — equipo distribuido en Argentina por TLC (Tecnología Láser Corneal)—. Su tecnología permite monitorear con precisión la farmacocinética y seguridad ocular de la gemcitabina, administrada por vía intraarterial oftálmica. El uso del Apollo MicroClear es clave para evaluar los efectos terapé uticos intraoculares con alta resolución y análisis en tiempo real.

La validación del uso local de gemcitabina tiene el potencial de revolucionar los tratamientos convencionales, minimizando la toxicidad sistémica y optimizando los resultados visuales y vitales. Este avance podría mejorar significativamente la calidad de vida de niños con retinoblastoma en todo el mundo. Anualmente, se de -

“La colaboración multidisciplinaria es fundamental para abordar la complejidad del retinoblastoma. Felicitamos al Hospital Garrahan y a su equipo por este importante logro. Su dedicación y compromiso con la investigación traslacional son un ejemplo inspirador para la comunidad científica y médica”.

Este proyecto, destacan desde TLC, no solo representa un avance significativo en el tratamiento, sino que subraya el potencial de la innovación argentina para impactar positivamente la salud mundial.

El reconocimiento posiciona al equipo del Garrahan y a Apollo MicroClear como referentes en innovación clínica, resaltando la colaboración entre investigación y empresas tecnológicas para impulsar avances sanitarios significativos.

OftalmoNoticias

CONGRESO DE SUPERHÉROES Y VILLANOS

El congreso en donde cada superhéroe y villano transmitirá todos sus poderes para lograr conquistar el ámbito de la oftalmología.

¿ LO ESPERABAS...? ...TE LO VAS A PERDER ...?

Se acerca agosto y sus tres días más esperados. Con su primera edición en 2011, y como cada año vuelve una nueva y mejorada versión de Facoextrema. Un congreso diferente, con temática, interacción y una integración singular a residentes. Dirigido principalmente para orientar a médicos jóvenes en sus inicios en la especialidad y que invita a la participación, no solo en sus presentaciones, sino en su organización y desarrollo.

Nuevamente tendremos la fortuna de presentar nuestra sección de cirugías en vivo de la mano de grandes cirujanos, incluyendo videos y debates sobre cirugías premium.

No faltarán las exposiciones de casos complejos por parte de médicos residen -

tes de todas partes del país y, además, en esta como en ediciones pasadas, habrá sorteos únicos. Sin dejar de lado la temática de este año, se realizará en el acto inaugural, un concurso donde se premiará al mejor disfraz.

Pero la propuesta innovadora de este año involucra actividades de Wet Lab en un nuevo Centro de Entrenamiento, una visión hecha realidad, siendo uno de los más importantes de Latinoamérica. Ofreciendo la guía de instructores con mucha trayectoria para la puesta en práctica de diversos procedimientos quirúrgicos de todas las subespecialidades, desde transplantes de córnea, facoemulsificación e intervenciones en retina, vítreo y glaucoma.

Contaremos con la participación especial de invitados de diversos países del mundo.

Salvamos, fallamos, corregimos, aprendemos. Pero al final del día, cuando colgás el ambo… ¿cómo te definís? ¿Héroe o villano?

y VOS ... TE LO VAS A PERDER

...?

Imágenes en tiempo real del proceso de cierre del agujero macular con OCT de 400 kHz bajo gas

Se celebró en la ciudad de Bogotá, Colombia, entre los días 30 de mayo y 2 de junio de 2025, el Congreso Panamericano de Oftalmología (PAAO), uno de los eventos científicos más relevantes de la especialidad en la región. En ese marco, durante el simposio de novedades en Angio-OCT de campo ultra amplio, se presentó la evaluación de agujeros maculares bajo gas, la cual despertó un notable interés por su enfoque innovador en el seguimiento diná mico y en tiempo real del proceso de cierre mediante tomografía de coherencia óptica (OCT) de alta velocidad.

La llegada de la tomografía de coherencia óptica (OCT) con velocidad de escaneo de 400 kHz y tecnología sweptsource (TowardPi BMizar) ha transformado nuestra capacidad de visualizar el vítreo y la retina en el contexto posoperatorio inmediato. Gracias a esta herramienta, es posible obtener imágenes de alta resolución incluso en ojos llenos de gas, superando las limitaciones de la OCT convencional y permitiendo la evaluación anatómica desde el mismo quirófano, sin necesidad de modificar la posición del paciente.

Recientemente, nuestro grupo en el Charles Centro Oftalmológico (Buenos Aires, Argentina) utilizó esta tecno -

logía para seguir de forma secuencial el proceso de cierre de agujeros maculares tratados con vitrectomía e ILM flap invertido. El estudio reveló que la mayoría de los agujeros comienzan su proceso de cierre ya en las primeras 24 horas postoperatorias, con signos visibles de hiperreflectividad retiniana interna, reorganización de la membrana limitante externa (ELM) y reducción precoz del diámetro del agujero.

Proponemos un modelo de cinco etapas que describe la evolución del cierre anatómico, desde la relajación inicial de los márgenes foveales hasta la restauración progresiva de las capas externas y la normalización del contorno foveal. Este seguimiento detallado es posible únicamente gracias a la capacidad de la OCT de 400 kHz para capturar imágenes nítidas en ojos bajo gas.

Además, observamos que la presencia de material hiperreflectivo temprano y la regeneración de la ELM se asocian significativamente con el cierre anatómico exitoso, lo que abre la posibilidad de desarrollar algoritmos de seguimiento personalizados basados en biomarcadores visuales en vez de protocolos de tiempo fijo. Estos hallazgos también sugieren que, en ciertos casos de cierre incompleto, el tratamiento farmacológico antiinflamatorio podría ser útil antes de considerar una reintervención.

La tecnología de OCT de alta velocidad y penetrancia redefine no sólo la calidad de las imágenes disponibles en el posoperatorio inmediato, sino también las estrategias de manejo clínico de nu estros pacientes.

Más que una carnosidad: abordaje diagnóstico y terapéutico del linfoma conjuntival.

Autores: Dr. Guillermo R. Vera Duarte, médico adscrito.

Dra. Naomi Carolina Zatarain Barrón, médico fellow.

Dra. Ruth Eskenazi Betech, médico adscrito.

Coordinador: Dr. Alejandro Navas Pérez, médico adscrito.

Afiliación: Instituto de Oftalmología Fundación Conde de Valenciana IAP, Ciudad de México, México.

Resumen

El linfoma de la conjuntiva es una neoplasia maligna poco común, pero representa la forma más frecuente de linfoma ocular, especialmente en adultos mayores. El subtipo más prevalente es el linfoma de la zona marginal asociado a tejido linfoide mucoso ( MALT ) , de comportamiento indolente y evolución local. Su diagnóstico puede pasar desapercibido ante lesiones conjuntivales aparentemente benignas, como masas asalmonadas, especialmente en pacientes jóvenes sin antecedentes sistémicos. La confirmación diagnóstica mediante biopsia y el abordaje sistémico son esenciales para establecer un plan terapéutico adecuado.

Conclusión

El linfoma conjuntival debe considerarse en el diagnóstico diferencial de masas asalmonadas, incluso en adultos jóvenes sin factores de riesgo. La sospecha clínica, la biopsia oportuna y el abordaje integral permiten un tratamiento eficaz con mínima morbilidad y buen pronóstico visual. Este caso refuerza el valor del examen detallado ante lesiones conjuntivales atípicas.

Paciente de sexo femenino de 34 años, sin antecedentes sistémicos relevantes, acudió a consulta oftalmológica por referir una tumoración conjuntival nasal en ojo derecho, descripta como una “carnosidad” de evolución crónica, asociada a ardor ocular y sensación de cuerpo extraño. A la exploración se identificó una masa asalmonada en la conjuntiva bulbar, sin afección corneal ni signos de invasión orbitaria. Se realizaron estudios por imagen y biopsia incisional, confirmándose linfoma de la zona marginal tipo MALT . El abordaje sistémico fue negativo para diseminación. La paciente recibió radioterapia externa a dosis de 20 Gy, con excelente respuesta clínica y sin evidencia de recurrencia a la fecha del último seguimiento.

Linfoma conjuntival, carnosidad, biopsia, radioterapia.

Introducción

El linfoma ocular es una enfermedad relativamente rara, pero es una de las neoplasias malignas más frecuentes en los anexos oculares, y su incidencia ha ido aumentando de forma constante 1 . Los linfomas de la conjuntiva forman parte del espectro de linfomas de anexos oculares, representando hasta un 25–30% de estos casos 2,4. El subtipo más común es el linfoma B de la zona marginal del tejido linfoide asociado a mucosas (MALT , por sus siglas en inglés de Mucosa-Associated Lymphoid Tissue), una neoplasia de bajo grado con curso clínico indolente. Se manifiesta típicamente como una masa asalmonada indolora, de crecimiento lento y unilateral, ubicada frecuentemente en la conjuntiva bulbar nasal5. Su prevalen-

Palabras Clave
Caso Clínico

Más que una carnosidad: abordaje diagnóstico y terapéutico del linfoma conjuntival.

cia aumenta con la edad y se asocia a ciertas condiciones inmunológicas o infecciosas, por lo que su aparición en pacientes jóvenes sin comorbilidades es inusual y puede dificultar el diagnóstico clínico inicial6

El diagnóstico definitivo requiere biopsia con análisis histopatológico e inmunohistoquímico7 . Estudios como el de Matsuo et al. han evidenciado que la mayoría de los linfomas MALT conjuntivales corresponden a enfermedad localizada (estadio IE según la clasificación de Ann Arbor), lo que permite un abordaje terapéutico conservador, con altas tasas de control local utilizando radioterapia externa 3 . No obstante, se ha documentado recurrencia sistémica en hasta el 10–15% de los casos, 3,8 lo que justifica una evaluación hematológica completa y seguimiento a largo plazo.

Dado lo anterior, es fundamental que el oftalmólogo mantenga un alto índice de sospecha ante cualquier tumoración conjuntival atípica, especialmente aquellas que no responden a tratamiento convencional. En este contexto, reportamos el caso de una paciente joven con linfoma conjuntival MALT unilateral sin diseminación sistémica, tratada exitosamente con radioterapia externa, destacando la importancia del diagnóstico oportuno y el manejo multidisciplinario en este tipo de presentaciones inusuales.

Paciente de sexo femenino de 34 años, sin antecedentes patológicos de importancia salvo tabaquismo actual-

mente suspendido, acudió a consulta refiriendo la presencia de una “carnosidad” en el ojo derecho, de evolución insidiosa durante varios meses. Clínicamente refería ardor ocular intermitente y sensación de cuerpo extraño como síntomas acompañantes. Al examen oftalmológico, presentaba una agudeza visual sin corrección de 20/20 en cartilla de Snellen en ambos ojos. A la biomicroscopía en lámpara de hendidura del ojo derecho se observó una masa conjuntival asalmonada, de bordes bien definidos, localizada en conjuntiva bulbar nasal de ojo derecho, sin afectación corneal, sin signos de vascularización activa ni aparente compromiso de estructuras orbitarias. La presión intraocular se midió dentro de límites normales y el fondo de ojo sin particularidad alguna. El ojo izquierdo se encontró sin alteraciones.

Se indicó manejo inicial con antiinflamatorios tópicos (acetato de prednisolona al 1% cada 4 horas) y lubricantes (hialuronato de sodio 0.15% cada 3 horas), con lo que no se observó mejoría significativa, por lo que se solicitó una tomografía computarizada simple de órbitas con la cual se descartó extensión a tejidos profundos. Finalmente, se realizó biopsia incisional para confirmar la sospecha diagnóstica, y el estudio histopatológico reveló infiltrado linfoide compuesto por células pequeñas de tipo B, con positividad para CD20 y BCL-2, y negatividad para CD5, CD10 y cyclina D1, compatible con linfoma tipo MALT .

El estudio de extensión incluyó química sanguínea, biometría hemática, tomografía de tórax, abdomen y pelvis, y biopsia de médula ósea, sin hallazgos sugestivos de diseminación sistémica. La paciente fue referida

Figura 1 . A, B, C : Imágenes clínicas del ojo derecho, donde se observa una lesión conjuntival de coloración asalmonada, homogénea, sobreelevada, con bordes lisos pero poco definidos, de aproximadamente 22 mm de largo y 5 mm de ancho. No se evidencian vasos prominentes ni compromiso corneal.

Caso Clínico
Más

que una carnosidad: abordaje diagnóstico y terapéutico del linfoma conjuntival.

a Hematología y recibió tratamiento con radioterapia externa a una dosis total de 20 Gy en fracciones diarias. La evolución fue favorable, con desaparición clínica de la masa conjuntival y sin signos de recurrencia hasta la última evaluación a los seis meses.

Discusión

El linfoma de la conjuntiva tipo MALT representa el subtipo más frecuente dentro de los linfomas del aparato ocular anexo, siendo una ne oplasia de bajo grado, indolente y de evolución lenta6,9 . Aunque su presentación es más común en adultos mayores, hay reportes que documentan su aparición en pacientes jóvenes. En una serie retrospectiva japonesa con seguimiento a largo plazo, Matsuo et al. mostraron que la radioterapia ofreció el mayor control local a largo plazo (87% a 10 años), aunque con efectos adversos como catarata y ojo seco3. Nuestra paciente, tratada con radioterapia externa a 20 Gy, evolucionó favorablemente, sin datos de recurrencia, consistente con dichos hallazgos.

Según Tanenbaum et al., el linfoma de la conjuntiva representa hasta el 25% de todos los linfomas de anexos oculares, siendo el subtipo MALT el más común (80%), seguido del linfoma folicular (8%) y difuso de células grandes B (3%) 7 . La presentación clínica habitual es una masa subepitelial asalmonada, no dolorosa, de crecimiento lento, con pocos síntomas asociados, lo que puede retrasar el diagnóstico en ausencia de sospecha clínica.

La importancia de una biopsia temprana es fundamental en estos casos, ya que no existen hallazgos clínicos patognomónicos que distingan al linfoma MALT de otros procesos. Como se observó en la serie de ParadaVásquez et al., incluso pacientes con seguimiento clínico prolongado pueden presentar recaídas si el tratamiento inicial no fue óptimo o si no se confirmó adecuadamente el diagnóstico mediante inmunohistoquímica 10 . El perfil inmunofenotípico característico (CD20+, CD5, CD10–, BCL-2+) permite distinguirlo de otros linfomas B de alto grado y de hiperplasias reactivas 11

La evaluación sistémica es clave incluso en casos aparentemente localizados, ya que hasta el 33% de los pacientes pueden presentar diseminación sistémica no evidente al momento del diagnóstico 6,7 . Tanenbaum et al. recomiendan un abordaje que incluya PET-CT, biopsia de médula ósea y estudios de laboratorio completos 7 , ya que la estadificación clínica (Ann Arbor o TNM) influye directamente en la elección terapéutica.

Respecto al manejo terapéut ico, depende del estadio y la extensión sistémica de la enfermedad. En el presente caso, el estudio de extensión no mostró compromiso extra-conjuntival, clasificándose como estadio IE según la clasificación de Ann Arbor. En estos casos localizados, la radioterapia externa es el tratamiento de elección. Matsuo et al. demostraron que la radioterapia ofrece tasas de control local del 87% a 10 años, siendo significativamente más eficaz que la observación o el uso exclusivo de rituximab intravenoso 3 . Sin embargo, esta modalidad no está

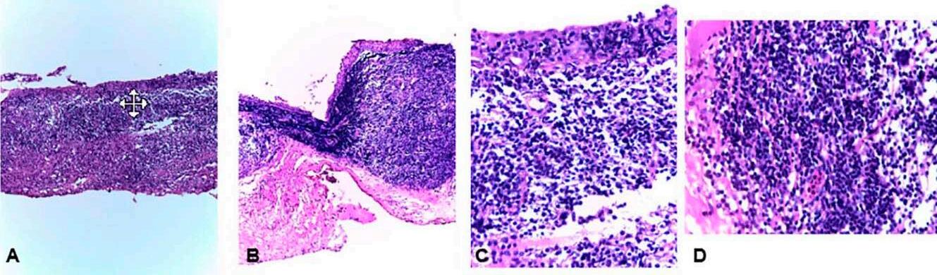
Figura 2 . A, B : Estudio histopatológico a mediano aumento, con tinción de Hematoxilina-Eosina (H-E), que muestran un infiltrado linfoide denso, dispuesto en patrón difuso que afecta gran parte del espesor del estroma subepitelial. C : A mayor aumento, se observa un infiltrado de linfocitos pequeños con escasa cohesión, que en algunas áreas invade el epitelio superficial, formando "lesiones linfoepiteliales" (H-E, 40x). D : Imagen a mayor aumento en la que se identifican linfocitos pequeños con diferenciación plasmocitoide (H-E, 40x).

Más que una carnosidad: abordaje diagnóstico y terapéutico del linfoma conjuntival.

exenta de efectos adversos, siendo los más frecuentes la aparición de catarata (53%) y ojo seco (53%), aunque ambos son generalmente manejables 12,13 . Tanenbaum et al. destacan que la dosis óptima para linfoma MALT aislado varía entre 20 y 30 Gy, y que la radioterapia moderna permite limitar los efectos adversos mediante técnicas de protección de cristalino y glándula lagrimal 7 . En nuestra paciente, el esquema de 20 Gy fue suficiente para lograr remisión sin toxicidad significativa.

Como alternativas emergentes, se ha propuesto el uso de rituximab intralesional. Ferreri et al. documentaron una tasa de remisión completa del 65% en pacientes con enfermedad localizada o en recaída, utilizando una combinación de rituximab con suero autólogo 14 . Esta estrategia permite evitar los efectos secundarios sistémicos y reducir la toxicidad ocular, especialmente útil en pacientes jóvenes o con afectación bilateral. Asimismo, el uso de antibióticos como parte del tratamiento ha sido explorado en casos con positividad a Chlamydia psittaci, aunque la evidencia sigue siendo limitada y geográficamente variable 14,15

En el presente caso, la evolución fue favorable tras el tratamiento con radioterapia, con desaparición clínica de la lesión y sin datos de recurrencia durante el seguimiento inicial. No obstante, diversos estudios han mostrado que hasta un 10–15% de los pacientes pueden desarrollar diseminación sistémica tardía, especialmente en ausencia de vigilancia hematológica adecuada 3,8 . Por lo tanto, el seguimiento a largo plazo

y multidisciplinario es esencial, incluso en casos aparentemente localizados y bien controlados.

El linfoma conjuntival debe diferenciarse de múltiples patologías benignas e inflamatorias que comparten una presentación clínica similar. Entre ellas se incluyen la hiperplasia linfoide benigna, epiescleritis, amiloidosis conjuntival, pterigión atípico, melanoma amelanótico, granuloma piogénico, conjuntivitis crónica y, raramente, carcinoma de células escamosas o papiloma 7 . La hiperplasia linfoide reactiva es, probablemente, el diagnóstico más desafiante, ya que puede presentar un infiltrado denso de células B con morfología similar; sin embargo, suele mostrar un patrón policlonal en estudios moleculares y menor atipia citológica. La ausencia de signos de inflamación activa, la coloración asalmonada homogénea y el crecimiento lento sin dolor deben alertar al clínico sobre la posibilidad de un proceso neoplásico como el linfoma MALT .

Este caso destaca la necesidad de una evaluación clínica minuciosa ante lesiones conjuntivales atípicas, especialmente en pacientes jóvenes. La biopsia dirigida, el estudio inmunohistoquímico y el abordaje sistémico permiten establecer un diagnóstico certero y seleccionar el tratamiento más adecuado. Además, el creciente número de estrategias terapéuticas permite individualizar el manejo en función de las características clínicas, anatomopatológicas y del paciente, y se debe resaltar que la colaboración entre oftalmólogos, hematólogos y oncólogos es esencial para garantizar un manejo integral y reducir el riesgo de diseminación o recurrencia.

Figura 3. A, B : Imagen clínica del mismo ojo a los 24 meses de seguimiento, donde se aprecia la resolución de la lesión. Se observa la conjuntiva con tonalidad ligeramente rosado-amarillenta, sin signos de inflamación activa, sin vasos prominentes y sin recurrencia clínica evidente.

Más

que una carnosidad: abordaje diagnóstico y terapéutico del linfoma conjuntival.

Conclusión

El linfoma MALT conjuntival, aunque típicamente observado en adultos mayores, puede presentarse también en pacientes jóvenes, lo que exige una actitud diagnóstica cuidadosa ante cualquier masa conjuntival atípica. La apariencia asalmonada debe alertar al clínico sobre la posibilidad de una neoplasia linfoide, especialmente si no

Referencias bibliográficas:

1. Kirkegaard MK. Ocular adnexal lymphoma: Subtype-specific clinical and genetic features. Acta Ophthalmol. 2022;100 Suppl 270:3-37. doi:10.1111/aos.15248.

2. Coupland SE, Krause L, Delecluse HJ, et al. Lymphoproliferative lesions of the ocular adnexa Analysis of 112 cases. Ophthalmology. 1998;105:14301441. doi:10.1016/S0161-6420(98)98024-1.

3. Matsuo Y, Monden Y, Sasaki K, et al. Treatment outcomes in patients with conjunctival mucosa-associated lymphoid tissue (MALT) lymphoma. Clin Ophthalmol. 2024;18:1999-2007. doi:10.2147/OPTH.S463653.

4. Kirkegaard MM, Rasmussen PK, Coupland SE. Conjunctival Lymphoma-An International Multicenter Retrospective Study. JAMA Ophthalmology. 2016;134:406-414. doi:10.1001/jamaophthalmol.2015.6122.

5. Bacon CM, Du M-Q, Dogan A. Mucosa-associated lymphoid tissue (MALT) lymphoma: a practical guide for pathologists. J Clin Pathol. 2007;60:361-372. doi:10.1136/jcp.2005.031146.

hay respuesta a tratamientos convencionales. La biopsia con inmunohistoquímica sigue siendo fundamental para establecer el diagnóstico definitivo y guiar el abordaje terapéutico. En casos localizados, la radioterapia externa continúa siendo una opción segura y eficaz, con excelente control local y baja toxicidad. Este caso subraya la importancia de mantener una alta sospecha clínica, realizar un abordaje integral y asegurar un seguimiento a largo plazo, incluso en pacientes sin factores de riesgo evidentes.

6. McGrath LA, Ryan DA, Warrier SK, et al. Conjunctival lymphoma. EYE. 2023;37:837-848. doi:10.1038/s41433-022-02176-2.

7. Tanenbaum RE, Galor A, Dubovy SR, et al. Classification, diagnosis, and management of conjunctival lymphoma. Eye Vis (Lond). 2019;6:22. doi:10.1186/s40662-019-0146-1.

8. El-Galaly TC, Mylam KJ, Bøgsted M, et al. Role of routine imaging in detecting recurrent lymphoma: A review of 258 patients with relapsed aggressive nonHodgkin and Hodgkin lymphoma: Follow-Up Imaging in Lymphoma. Am J Hematol. 2014;89:575-580. doi:10.1002/ajh.23688.

9. Chung HU, Son JH. Ocular adnexal mucosa-associated lymphoid tissue lymphoma: a narrative review. J Yeungnam Med Sci. 2022;39:3-11. doi:10.12701/yujm.2021.01263.

10. Parada-Vásquez RH, Lomas-Guaman VE, LeónRoldán CR. Conjunctival lymphoma in right eye: Case report. Arch Soc Esp Oftalmol (Engl Ed). 2017;92:7881. doi:10.1016/j.oftale.2016.11.005.

11. Nicolae A, Sabattini E, Ponzoni M, et al. Lymphadenitis/reactive-hyperplasia, mimickers of lymphomas,

low-grade B-cell lymphomas, and Hodgkin lymphoma. Hemato. 2024;5:350-379. doi:10.3390/hemato5030026.

12. Hoffmann C, Rating P, Bechrakis N, et al. Longterm follow-up and health-related quality of life among cancer survivors with stage IEA orbital-type lymphoma after external photon-beam radiotherapy: Results from a longitudinal study. Hematol Oncol. 2022;40:922-929. doi:10.1002/hon.3053.

13. Hoffmann C, Ringbaek T, Eckstein A, et al. Longterm follow-up of patients with conjunctival lymphoma after individualized lens-sparing electron radiotherapy: Results from a longitudinal study. Cancers (Basel). 2023;15:5433. doi:10.3390/cancers15225433.

14. Ferreri AJM, Sassone M, Miserocchi E, et al. Treatment of MALT lymphoma of the conjunctiva with intralesional rituximab supplemented with autologous serum. Blood Adv. 2020;4:1013-1019. doi:10.1182/bloodadvances.2020001459.

15. Ferreri AJM, Govi S, Pasini E, et al. Chlamydophila psittaci eradication with doxycycline as first-line targeted therapy for ocular adnexae lymphoma: final results of an international phase II trial J Clin Oncol. 2012;30:2988-2994. doi:10.1200/JCO.2011.41.4466.

Estudio in vitro comparativo de diferentes fármacos para el tratamiento del Demodex

Autor responsable: Dr. Juan Martín Salum, Co-Autores: Matías Osaba, Facundo Nicolás Villegas

Hospital Nacional de Clínicas - Universidad Nacional de Córdoba Instituto de la Visión - Sanatorio Allende Cerro. Clínica de Ojos Reyes Giobellina.

Resumen

La blefaritis por Demodex es una inflamación crónica del borde palpebral frecuentemente subdiagnosticada, cuya etiología se asocia a la infestación por los ácaros Demodex folliculorum y Demodex brevis . Aunque existen múltiples opciones terapéuticas, aún no se ha consensuado un tratamiento estándar con eficacia comprobada. El objetivo de este estudio fue evaluar la actividad acaricida in vitro de tres formulaciones oftálmicas: aceite de árbol de té, ungüento de ciprofloxacina con dexametasona y gel de Blefaskin. Se obtuvieron muestras de pestañas de pacientes con diagnóstico clínico de blefaritis demodécica, y se evaluó la motilidad de los parásitos expuestos a cada fármaco mediante una escala estandarizada de vitalidad. Los resultados demostraron que el aceite de árbol de té fue el único tratamiento que logró la inmovilidad completa de Demodex folliculorum a las tres horas de exposición, con una reducción significativa de la vitalidad (p<0,05). En contraste, los tratamientos con ciprofloxacina-dexametasona y Blefaskin solo lograron disminuir parcialmente la movilidad del parásito, sin alcanzar un efecto letal en el período observado. Estos hallazgos refuerzan la evidencia sobre la eficacia in vitro del aceite de árbol de té frente a Demodex , y sugieren la necesidad de estu dios clínicos adicionales que validen su efectividad y seguridad en el tratamiento de la blefaritis demodécica.

Introducción

La blefaritis crónica representa una de las consultas más frecuentes en la práctica oftalmológica. Su etiología es multifactorial, incluyendo componentes infecciosos, seborreicos, alérgicos y parasitarios. En este contexto, la infestación

por Demodex spp ., especialmente D. folliculorum y D. brevis, ha cobrado creciente relevancia. Estos ácaros, ectoparásitos permanentes del humano, habitan las unidades pilosebáceas y pueden desencadenar blefaritis refractarias, caracterizadas por síntomas como prurito, ardor, sensación de cuerpo extraño y la presencia de caspa cilíndrica en las pestañas, signo considerado patognomónico.

Diversas opciones terapéuticas han sido propuestas para su manejo, incluyendo antibióticos tópicos, esteroides y productos naturales como el aceite de árbol de té. Sin embargo, la falta de estandarización en los protocolos de tratamiento y la escasa evidencia comparativa entre fármacos justifican la necesidad de estudios que evalúen su eficacia de forma controlada.

Metodología

En este estudio se recolectaron muestras de pestañas de pacientes con diagnóstico clínico de blefaritis, en quienes se sospechó demodicosis ocular como posible etiología. Utilizando una lámpara de hendidura y pinza oftalmológica estéril tipo 0.12, se extrajeron tres pestañas por párpado. Las muestras fueron examinadas en fresco con microscopio óptico. Solo se incluyeron pacientes sin tratamiento previo para blefaritis ni exposición a fármacos que pudieran alterar la carga parasitaria, y se excluyeron casos de blefaritis seborreica o estafilocócica.

El análisis microscópico confirmó la presencia de ácaros del género Demodex, seleccionándose únicamente aquellos adultos con cuatro pares de patas bien desarrolladas y movimientos activos. Tras verificar su vitalidad, los ejemplares fueron distribuidos en tres grupos según el fármaco aplicado: Lid Clean (aceite de árbol de té), Quidex ungüento (ciprofloxa -

Estudio in vitro comparativo de diferentes fármacos para el tratamiento del Demodex.

Las observaciones se realizaron a los 30, 60, 120 y 180 minutos posteriores a la aplicación de los productos, utilizando una escala de vitalidad de 0 a 3 basada en la intensidad y frecuencia de los movimientos donde:

3: Movimientos energéticos.

2: Movimientos lentos pero regulares.

1: Movimientos esporádicos y débiles.

0: Ausencia de movimientos durante un minuto.

Resultados

Los resultados obtenidos en este estudio in vitro refuerzan la evidencia previa sobre la eficacia del aceite de árbol de té como tratamiento acaricida contra Demodex folliculorum

A diferencia del ungüento de ciprofloxacina con dexametasona y del gel con Hydroxyproxilane 1.5% y Cafeisilane 1.5% en gel (25 g), el aceite de árbol de té demostró ser el único tratamiento con capacidad acaricida completa en las condiciones evaluadas. Se registró la ausencia total de movimiento del Demodex a las tres horas de exposición a este fármaco, evidenciando su eficacia para eliminar al parásito (se observó una notable disminución de la vitalidad en la muestra, con una media de “0,5” (p<0,05). Previamente al cese de la motilidad, el ritmo de movimiento de los ácaros disminuyó notablemente en comparación con los tratamientos alternativos.

En los grupos tratados con Hydroxyproxilane 1.5% y Cafeisilane 1.5% en gel y Ciprofloxacina con dexametasona, se cina/dexametasona) y Blefaskin (hydroxyproxilane/cafeisilane). Para evitar interferencias por viscosidad, se adicionó una gota de lubricante ocular con hidroxipropilmetilcelulosa a cada preparación.

observó una desaceleración progresiva de la motilidad del Demodex durante las primeras tres horas de exposición. Sin embargo, no se alcanzó la inmovilidad total en ninguno de estos grupos dentro del tiempo de observación, lo que indica que estos tratamientos no lograron eliminar al parásito de forma efectiva durante el período estudiado.

Este hallazgo coincide con estudios previos que demostraron la reducción significativa del tiempo de supervivencia del ácaro con concentraciones altas de aceite de árbol de té. No obstante, debe considerarse que su uso clínico requiere precaución, dado que las concentraciones elevadas pueden inducir irritación ocular, razón por la cual se recomiendan formulaciones diluidas o presentaciones especialmente desarrolladas para la superficie ocular.

En contraste, ni la ciprofloxacina-dexametasona ni el gel lograron eliminar completamente al parásito. Si bien el primero puede ser útil en casos con sobreinfección bacteriana o inflamación marcada, su acción parece no ser acaricida. Pese a la validez de los resultados obtenidos, es importante destacar las limitaciones del estudio. La extrapolación de los datos in vitro a la práctica clínica debe realizarse con cautela, ya que factores como la penetración del fármaco en el folículo piloso, la biodisponibilidad ocular y la tolerancia del paciente no fueron evaluados. Asimismo, no se incluyeron combinaciones terapéuticas que podrían potenciar el efecto de los agentes estudiados. En conclusión, el aceite de árbol de té se posiciona como una alternativa efectiva para el manejo de la blefaritis por Demodex . Sin embargo, se requieren ensayos clínicos bien diseñados y profundos para confirmar su efectividad en pacientes y establecer pautas de tratamie nto seguras y reproducibles.

Referencias bibliográficas:

1. Seyman U, Fidan E, Bahadır S, Kavgacı H. Assessment of Demodex presence in. acne-like rash associated with cetuximab. Cutan Ocul Toxicol. 2016;16:1-4.

2. Kanski. Oftalmología Clínica. 9a ed. Párpados–Demodex. Nat Med. 2017;13:904-6.

3. Corredor-Osorio R, Nava Castañeda A, Tovilla Canales JL, Tovilla Pomar JL, Muñoz Salas S. Blefaritis por Demodex folliculorum. Rev Fac Med UNAM. 2020;43:125-9.

4. Galvis-Ramírez V, Tello-Hernández A, Álvarez-Osorio L, Rey-Serrano JJ. Prevalencia de infección por Demodex folliculorum en pacientes que acuden a consulta general de oftalmología. Rev Salud Pública. 2016;13:990-7.

5. Kheirkhah A, Casas V, Li W, Raju VK, Tseng SCG. Corneal manifestations of ocular Demodex infestation. Am J Ophthalmol. 2015;143:743-9.

6. Lacey N, Russell-Hallinan A, Powell FC. Study of Demodex mites: Challenges and solutions. J Eur Acad Dermatol Venereol. 2016;30:764-75.

7. Laspina F, Samudio M, Arrúa M, Sanabria R, Farina N, Carpinelli L, Cibils D, Mino de Kaspar H. Demodex spp. en pacientes con blefaritis crónica. Rev Chilena Infectol. 2015;32:37-42.

8. Gao YY, Di Pascuale MA, Li W, et al. In vitro and in vivo killing of ocular Demodex by tea tree oil. Br J Ophthalmol. 2005;89(11):1468-1473. doi:10.1136/bjo.2005.072363

Soporte técnico

y

automatización: claves en la implementación de un sistema de gestión para centros oftalmológicos

Ariel Rizzi, fundador de Treelan, nos cuenta en esta entrevista cómo fue arrancar con la plataforma hace 18 años.

En sus comienzos, cuando recién lanzaba el sistema, recuerda que él mismo atendía cada consulta técnica. Era su número personal el que figuraba en los primeros contactos y cualquier problema (desde la caída del sistema hasta una duda básica sobre cómo agendar un turno) pasaba directamente por él. El trabajo de soporte fue clave al principio y uno de los factores por los que el producto creció tanto por recomendación. “La gente valora que la atiendan cuando se le presenta un problema técnico”, afirma. Y aunque hoy evita hablar por teléfono, reconoce que ese contacto cercano ayudó a consolidar confianza. Por ese motivo, aunque delegó muchas tareas, sigue involucrado en los temas críticos.

Hoy el soporte técnico se canaliza principalmente por WhatsApp, a través de un número compartido que gestiona junto a otros colaboradores pero para situaciones delicadas o desarrollos personalizados, Ariel Rizzi sigue estando disponible.

“Tenemos un tutorial muy completo. Cuando una persona entra al sistema, encuentra un menú de ayuda con imágenes detalladas, paso a paso, desde crear un turno, ver pacientes o cargar una cirugía, todo está desglosado. Pero muchos usuarios prefieren escribir por WhatsApp, es por eso que está desarrollando un chatbot con inteligencia artificial que responderá en base al tutorial y podrá guiar al usuario. Si algo no está contemplado, el mismo bot lo derivará al número de soporte. La idea es resolver lo repetitivo y lo básico sin intervención humana, pero con una experiencia que siga siendo satisfactoria para el usuario“.

Actualmente Treelan cuenta con presencia en más de 300 clínicas y consultorios, todos especializados en oftalmología. Entre sus clientes se encuentran algunas de las instituciones más prestigiosas de la Argentina, así como las dos clínicas oftalmológicas más importantes de Ecuador, las principales de Paraguay y las cinco más destacadas de Uruguay.

Entre clínicas y consultorios hay 10.000 usuarios activos por día que están en la nube “El sistema no tiene errores, es muy robusto, y eso hace que entre pocas personas lo podamos manejar”, asegura En el equipo son seis personas manejando la aplicación. Además, Treelan ofrece dos modalidades de implementación. La más utilizada es Treelan Online , una plataforma en la nube que funciona como un sistema centralizado, al estilo de servicios como Google o Facebook. Los usuarios acceden mediante una contraseña única a una interfaz compartida y altamente escalable, que hoy concentra alrededor de 5.000 usuarios diarios.

También existen versiones cliente-servidor, que se instalan localmente en clínicas individuales, adaptándose a sus necesidades particulares.

El objetivo a futuro es que Treelan esté disponible mundialmente y que la historia clínica sea compatible con cualquier sistema que aplique el mismo estándar internacional. “Lo ideal sería que la historia clínica esté integrada a un estándar global como HL7 (Health Level Seven) un protocolo internacional ampliamente utilizado para el intercambio electrónico de información médica.”

Hoy existen aplicaciones compatibles con este sistema tanto para iPhone como para Android y ese es el rumbo que sigue Treelan. Con más de 10.000 usuarios y una hoja de ruta ambiciosa, su plataforma está enfocada en cumplir con ese objetivo.

Explicación de los fenómenos en la retinoscopía. Mecanismo óptico de las sombras retinoscópicas

Autor: Prof. Dr. Carlos Kotlik FCM, Prof. Adjunto Área Oftalmología UNCuyo. Hospital Notti Mendoza. Prof. Dr. Teobaldo Antonio Saldeña (In Memoriam), Prof. Titular Área Biofísica, FCM UNCuyo.

Prof. Dr. Fernando Daniel Saraví (In Memoriam), Prof. Adjunto Área Biofísica, FCM UNCuyo.

La Retinoscopía, esquiascopía, pupiloscopía o queratoscopía, o test de Cuignet , es una técnica que se usa desde hace más de un siglo. Es la base de las técnicas objetivas que se usan en la actualidad. El retinoscopio de banda o Copeland , es quizás el ultimo avance en esta centenaria técnica y es empleado a diario por los oftalmólogos. Sin embargo, y a pesar de ser tan familiar, los principios de interpretación de la óptica de este método de estudio no nos son tan claros, ni han sido motivo de interés en los últimos años.

En la actualidad, la aparición de refractómetros automáticos, de técnicas para cirugía refractiva, y, sobre todo, de métodos de screening para la detección precoz de ametropías (fotorrefracción, test de Bruckner ), han vuelto a mostrar la importancia del conocimiento profundo de las imágenes retinales desenfocadas. Este trabajo estudia especialmente la producción de sombras y la forma de éstas, y sugiere una interpretación que difiere de la aceptada por la literatura moderna.

RETINOSCOPÍA

Conviene dividir a la Retinoscopía en tres etapas para su mejor estudio:

1) Iluminación de la retina del paciente.

2) Las imágenes de difusión producidas por el área de retina iluminada proyectadas al aire, imágenes aéreas o imágenes de retorno, o reflejo rojo.

3) La proyección e interpretación de la imagen retinal hecha por el médico observador en el plano pupilar. La etapa más importante es la segunda, donde, según sea la

ametropía, se producirán imágenes de difusión homómeras (antes de que los rayos se entrecrucen); antímeras (luego del entrecruzamiento). La técnica consiste en estudiar ese punto de inversión de imágenes homómeras a antímeras, llamado punto neutro. (Existe otro punto neutro llamado neutro incidental, producido, no por el entrecruzamiento de los rayos, sino por el tipo de iluminación convergente en la pupila). De estos reflejos rojos, se deben estudiar la forma, el tamaño, el brillo y la velocidad y tipo de movimiento (a favor o en contra).

SOMBRAS: ¿Qué dice la bibliografía?

En la bibliografía se lee que la forma de las imágenes y la producción de las sombras (esquiascopía significa observar las sombras: σκοτος = oscuro) se debe al bloqueo de algunos rayos de luz por el iris funcional del observador. O sea, que el reflejo redondeado observado en las ametropías esféricas y la forma en semiluna de la sombra, se deben a la obstrucción por las márgenes del orificio del espejo (iris funcional o efectivo), de los rayos provenientes de la retina del paciente.

Como el orificio del espejo es redondo, el haz circular proveniente de la retina del paciente es tapado por el margen redondo del orificio, y estos rayos forman la sombra en

Explicación de los fenómenos en la retinoscopía. Mecanismo óptico de las sombras retinoscópicas.

medialuna. Veremos que esto es lo que ensenan los libros, y luego, otra posible explicación. Así, en el tomo 2 “Optics Refraction and Contact Lenses” del “Basic and Clinical Science Course” que publica en 1987 la Academia Americana de Oftalmología, en la página 137 dice: “ if the far point of the patient’s eye is not at the examiner’s effective pupil (the peephole of the retinoscope), some rays emanating from the patient’s pupil will not enter the examiner’s pupil, resulting in the appearance of a shadow.” - Si el punto remoto del ojo del paciente no se encuentra en la pupila efectiva del examinador (el orificio del retinoscopio), algunos rayos que emanan de la pupila del paciente no entrarán en la pupila del examinador dando como resultado la aparición de una sombra. En la última versión de 2017/ 2018 del tomo 3 del BCSC (Basic and Clinical Science Course de la Academia Americana dice ahora: “ if the far point of the patient´s eye is not at the peephole of the retinoscope, only some of the rays emanating from the patient´s pupil enter the peephole and illumination of the pupil appears incomplete” (Si el punto remoto del ojo del paciente no está en el agujerito del retinoscopio, solo algunos de los rayos que son emanados de la pupila del paciente entran por este agujerito y la iluminación de la pupila. Claramente en las revisiones sacaron la palabra sombra por ser ésta como veremos, totalmente equivocada, aunque no aclara por qué no entran todos los rayos.

En la página 359 de Visual Optics and Refractio n 2da edición de David Michaels 1980, dice: “The rays that enter the peephole come from the lower part of the pupil; those from above are cut off by the mirror. (Los rayos que entran en el orificio vienen de la parte inferior de la pupila, los de la parte superior son cortados por el espejo)”.

En la página 130 del libro de Belmonte González, “Sobre refracción ocular” de editorial Doyma 1980 dice: el primer rayo que desaparecerá al pasar el cono de rayos por la pupila del observador ... y por lo tanto la sombra será vista en la pupila del paciente .” Más tarde se lee: “ los rayos pasan todos por la pupila, o se interceptan todos por el iris”.

Todo el capítulo III de Teoría de la esquiascopía del libro Refracción Clínica de Juan Verdaguer y René Barreau, editorial Andrés Bello, 1969, describe varias veces la obstrucción de rayos por el iris del observador, con muchos gráficos. Se lee, por ejemplo: “ Al desviar el espejo de arriba a abajo, los rayos el haz emergente saldrán hacia arriba y correspondientes al sector superior de la pupila serán detenidos la imagen de la pupila por el iris del observador. En la imagen de la pupila (del paciente) que se forma en la retina del médico, faltarán los rayos correspondientes al sector superior de la pupila examinada y aparecerá una sombra en media luna”

En la página 7 del capítulo 37 del volumen enciclopedia de Duane “Clinical Ophthalmology”, se lee: “in the diagram rays from the upper part of the pupil Sweep downwards across the examiner’s face, are the first ones to enter his eve... As the observer sweeps the retinoscope beam farther upward across

the subject’s face, the rays that will return to his eye are those from progressively lower levels of the pupil. (En el diagrama, rayos de la parte superior de la pupila barren hacia abajo la cara del examinador y son los primeros en entrar a su ojo... Mientras el observador barre el haz del retinoscopio más arriba hacia la cara del sujeto, los rayos que regresarán a su ojo son aquellos de niveles progresivos más bajos de la pupila) .

En las páginas 362 y 363 del libro “sobre Refracción Ocular”, de Gil del Río, figuran esquemas equivalentes a los expuestos al comienzo, donde se ve como la sombra es producida por la oclusión del iris del observador. Puede leerse: ... “ el límite de la sombra y de la parte iluminada sobre la pupila de P (paciente) se obtiene reuniendo en R’ (imagen de la retina del paciente), los diferentes puntos situados al borde de la pupila de M (médico observador )”.

En el libro Óptica Fisiológica en el tomo 1 de “La dióptrica del ojo y su compensación”, de Yves Le Grand, impreso por la Sociedad Española de Optometría, en 1984, uno de los optómetras del viejo mundo no médicos más renombrados, otra vez encontramos explicación parecida que como veremos no es correcta. En efecto, en el capítulo 23 página 377 de libro antes mencionado, luego de un gráfico mostrando como la pupila del observador bloquea y produce sombra dice: “ Si el observador o mira entonces la pupila de S, verá en ella iluminado todo aquel punto que envíe luz a su propia pupila, y, por lo tanto, el límite entre la sombra y la zona iluminada en la pupila de s se obtendrá… El libro más importante de Refracción y Óptica Oftálmica de los últimos años, que fuera reimpreso por la Academia Americana de Oftalmología como en 1993 como la guía más importante en este aspecto, “Optics for Clinicians” de Melvin Rubin, reimpreso como dijimos en 1993 por Triad Publishing Company, y que siguen recomendando hasta el presente, dice también en el gráfico donde se explica el mecanismo de la Retinoscopía en la página 305 en “On the Observer´s Retina” (En la Retina del Observador), “ Edge of the illuminated shadow of the observer´s own pupil as it invades the dark patient´s pupil” (Borde de la sombra iluminada de la pupila del propio observador mientras ella va invadiendo la pupila oscura del paciente). Luego, en la página 306 dice “ The part of this latter shadow that corresponds to the observer´s central pupillary opening (shown above) is obviously illuminated by the entering light”… y más adelante dice …” the border of this light represents the shadowy margin of the observer´s own pupil (or the retinoscopio aperture ”stop”, whichever is smaller”. (La parte de esta última sombra que corresponde a la apertura central de la pupila del observador (mostrada arriba), es obviamente iluminada por la luz que entra… el borde de esta luz representa el margen sombreado de la propia pupila del observador (o de la apertura o stop del retinoscopio, cualquiera que sea más chico).

Como veremos, todos estos libros hablan de sombras de obstrucción por el iris, y de ahí la vieja palabra esquiascopía que se viene repitiendo ya casi 100 años.

Explicación de los fenómenos en la retinoscopía. Mecanismo óptico de las sombras retinoscópicas.

Otros autores como Duke Elder en su “System of Ophthalmology” no se refieren específicamente a la producción de sombras. En su explicación de la esquiascopía no hace referencia a obstrucción de los rayos por el iris del observador. Sin embargo, en la página 395 dice que el neutro se encuentra en el punto nodal del observador: “ this occurs when the subject’s eve is made myopic by lenses so that the image in the reflex stage is at the observer’s nodal point”. Como se ve, está muy arraigado en los autores el concepto por el cual las sombras corresponden a los rayos luminosos que salen del ojo del paciente para formar una imagen (aérea o de retorno), pero son interceptados por el “iris efectivo” del examinador.

EXPERIMENTACIÓN

En este estudio se propone otra interpretación para los fenómenos descriptos. Se advierte que si la producción de sombras está determinada por el borde del orificio del espejo (iris efectivo) en caso de contar con un espejo con orificio triangular o cuadrado, las sombras deberían respetar esta forma y no ser ya más en medialuna que corresponde a un borde de agujero redondo. Con este fin, se construye un modelo de ojo esquemático y un espejo con orificio cuadrado y otro triangular. ¡Se esperaba encontrar sombras con las características de estos agujeros, pero seguimos encontrando la misma forma en media luna!

En un segundo paso, se fabricó un modelo de ojo esquemático con pupila de varias formas (cuadrada, triangular, etc.), sin lentes, solo una caja con un orificio. Usando cualquier tipo de agujero en el espejo se halló, que la forma de la sombra como así también del reflejo rojo se corresponde con la, pupila del ojo esquemático utilizado. Si se coloca un modelo de ojo con pupila cuadrada se veía reflejo y

sombra cuadrada con bordes rectos, si pupila triangular vemos reflejo triangular y sombra formando un ángulo agudo que corresponde al vértice del triángulo, etc.

En este caso, de nuestro ojo esquemático, la fuente de luz virtual que está detrás del espejo (virtual) está lejos del ojo observado y podemos considerar que los rayos llegan casi paralelos o con leve divergencia. Al no haber lente alguno la forma de la zona iluminada en el fondo de nuestra retina esquemática coincide con la de la pupila de nuestro ojo de experimentación. (En caso de haber lentes, la forma de la zona iluminada es casi siempre redondeada determinada por los círculos de difusión de la imagen desenfocada que forma la fuente virtual en la retina del paciente observado, y no coincide directamente con la forma de la pupila de dicho paciente. Si nuestra pupila experimental hubiera sido más pequeña, entonces de nuevo, aún sin lentes, la forma de la zona de la retina iluminada en el fondo del paciente no coincide con la forma de la pupila, (que se ha transformado en estenopeico por ser pequeña), y tiene la forma de la fuente de luz, (efecto de cámara oscura).

Por lo tanto, se demuestra que la forma del reflejo y de las sombras no dependen del iris funcional o efectivo del observador. Dependen del iris del paciente, o mejor aún de la forma de la zona iluminada de la retina del paciente. (Recordemos que en nuestro ojo experimental la forma de la zona iluminada de la retina coincide con la forma del iris del paciente). La zona oscura que vemos, (sombra), se origina no porque dejen de penetrar (ocluidos por el espejo) rayos procedentes de puntos iluminados, sino porque de puntos de la retina del paciente que están oscuros salen rayos que podríamos denominar oscuros. Es decir, que es la iluminación de la retina, (determinada por los rayos que saliendo de los bordes de la fuente iluminadora pasan por el punto nodal del paciente), la etapa 1 del estudio de la Retinoscopía la que determina la forma del reflejo y su sombra. Según sean las partes iluminadas y oscuras (tapada su iluminación por el iris del paciente) del fondo que forman parte del campo visual del examinador , saldrán rayos que formaran una imagen aérea o de retorno (etapa 2) que serán vistos por el observador y serán interpretados (etapa 3) y proyectados al plano pupilar como reflejo y sombra. (Por razones de simplificación didácticas, no se trabaja con fenómenos difractivos ni con círculos de difusión en lugar de zonas iluminadas enfocadas. Por este motivo, en los gráficos se muestra luz y sombra con bordes netos en vez de penumbras que es lo que realmente ocurre. Además, es conveniente aclarar que el diafragma o iris efectivo, que actúa a nivel del paciente, es la imagen del iris refractada por la córnea, que nos da una pupila aparente ubicada más adelante y levemente aumentada de tamaño.

1 Lo correcto es -como lo demuestra magistralmente Márquez- que el neutro coincide con el orificio del espejo o el iris funcional del observador y no el nodal. Si esta última presunción fuera correcta como sostiene Duke Elder. al dejar el orificio del espejo en el punto neutro, y mover hacia atrás el nodal del observador (correr la cabeza hacia atrás) deberíamos esperar movimiento "en contra". A la inversa al dejar el nodal (cabeza del médico) estable en neutro y acercar al ojo observado el orificio del espejo, deberíamos seguir en neutro. Pues, en el primer caso seguimos en neutro y en el segundo tenemos sombras "a favor" o directas.

REFRACCIÓN

Explicación de los fenómenos en la retinoscopía. Mecanismo óptico de las sombras retinoscópicas.

CONCLUSIÓN

El orificio del espejo solo interviene en el brillo del reflejo del fondo observado y no en su forma, ya que al dejar pasar más rayos regula la iluminación con que vemos la zona iluminada . Incluso, si en vez de usar espejos usamos un retinoscopio de banda, se verá que la forma del reflejo y de la sombra dependen del iris del paciente solo en las posiciones extremas del movimiento. En la posición central, el haz enviado en la primera etapa de estudio de la Retinoscopía, etapa de iluminación, es delgado y se observan sombras a ambos lados. Es decir, que pasa por la región central de la pupila sin ser interceptado y producir sombra. Se ve la forma en banda por ello, ya que el iris del paciente como se mencionó no ocluye rayos a los costados y no interviene en la forma que tendrá la zona iluminada de la retina.

1) La forma del reflejo rojo como de la sombra es independiente del orificio del espejo o iris efectivo o funcional del observador.

2) El tamaño de este orificio regula solo que entren más o menos rayos de luz y por ende interviene en el brillo del reflejo.

3) La forma del reflejo como la de la sombra, depende del iris del paciente observado o de la forma de la fuente con que se ilumina la retina (Retinoscopía de banda). Dependerá en cada caso si parte del haz incidente es interceptado o no por los bordes pupilares.

4) La forma del reflejo rojo que se ve corresponde a la forma de la zona iluminada de la retina que está en el campo visual del médico observador. La forma con que se ilumina la retina se explicó en el punto anterior.

5) La forma de la sombra corresponde a la parte de retina del paciente que está en el campo visible para el observador y que no está iluminada. La forma que tiene esta parte no iluminada corresponde, ya sea a la forma del iris del paciente que bloquea los rayos incidentes, o a la forma de la fuente iluminadora como se explica en el punto 3.

6) Esta nueva explicación es particularmente importante ante la inminencia de nuevas técnicas de estudio como es la fotorrefracción, donde se da el nombre de anticreciente a estas sombras. Numerosos autorrefractores a distancia se basan en esto: Vision screener y Plusoptix de la estadounidense Welch Allyn, la Medyantra KIDDO, Forus 3 Nethra de la India, o la Adaptica 2 win de Italia. (En Alaska, midiendo los anticrecientes en los celulares logran medir la refracción)3.

2 El campo visual de la retina del paciente que ve el médico se llama Campo Esquiascópico Retiniano y está determinado por los rayos saliendo de la pupila efectiva del médico. O sea, de los bordes del orificio del espejo, pasen por el punto nodal del paciente y lleguen a la retina de éste. Corresponde a la zona de la retina del paciente que envía rayos, salgan su pupila y puedan entrar a la pupila efectiva del médico.

3 Journal of Pediatric Ophthalmology and Strabismus. 2018;55(6):393-396 - https://doi.org/10.3928/01913913-20180710-01

REFRACCIÓN

Explicación de los fenómenos en la retinoscopía. Mecanismo óptico de las sombras retinoscópicas.

REVISIÓN HISTÓRICA DE LA ESQUIASCOPÍA

En la búsqueda bibliográfica que se realiza, se encuentra que la hipótesis errónea que se rechaza por la experimentación, ya era conocida para Márquez, Monoyer, Rolland y Parent, como Hipótesis de Leroy. Este autor publica su teoría en julio de 1887 en un artículo llamado "Le phenomène de l'ombre pupillaire", en la Revue Generale d'Ophthalmologie. Sin embargo, en la misma época los autores mencionados anteriormente no aceptan esta hipótesis. En 1919, Márquez habla de "rayos luminosos y rayos oscuros" (terminología empleada aqui). Parent escribe en 1888: "Cette pretendue ombre n'est donc autre chose que la partie de la retina de l'observé qui etait eclairée d'abord mais que ne l'est plus et par suite appairait obscure". (Esta pretendida sombra no es otra cosa que la parte de retina del observado que fue iluminada antes pero que ya no lo está más, y por ello aparece oscura). En las Lecciones de Refracción Ocular de Márquez 1926, el autor llega a proponer el experimento del espejo con varias formas de orificio. ¡O sea que mis experimentos en Facultad de Ciencias Médicas de la Universidad Nacional de Cuyo, ya habían sido propuestos y realizados por Márquez un siglo antes !! Más modernamente Joseph Pascal en su libro Studies in Visual Optics editado por Mosby en 1952 vuelve a proponer a las sombras simplemente como zonas no iluminadas de la retina independientemente de la pupila del observador. En la página 156 dice: "But the dark non illuminated region on the wall around the spot of light is not a shadow; it is a non-illuminated area" . (Pero la región oscura no iluminada en la pared alrededor de la mancha de luz, no es una sombra, es un área no iluminada). Pascal parafrasea también al Prof. Márquez, y habla también de región no iluminada que envía rayos oscuros, y región clara que envía rayos claros. Entonces como acabamos de ilustrar, a principios de siglo, se conocía tanto la hipótesis de Leroy como la recién definida, habiendo perdurado la primera de ellas, que aparentemente se tradujo al inglés primero y pasó esta lengua a ser primordial en el siglo XX y fue repitiéndose el error de libro en libro. Pascal en 1952, logró diferenciarse. Sin embargo, a la luz de las simples experiencias que se detallaron aquí, aparecen dudas que habrá que dilucidar para acelerar el progreso de técnicas foto refractivas, que se basan en la fotografía de las distintas formas y tamaño de dichas sombras, como mencionáramos ut supra.

Continuar copiando errores, en este momento donde el acceso a la información es tan inmenso que le pedimos a la Inteligencia Artificial (IA) que corrija o busque nuestra bibliografía, pareciera imposible. Sin embargo, debemos recordar que la IA no tiene un algoritmo para buscar la verdad sino solo para copiar y pegar lo que algún otro paper ya publicó. Es en este orden de cosas que me gusta -

ría destacar también los errores por diferentes traducciones fundamentalmente del inglés, que se vienen repitiendo no solo en nuestros libros de oftalmología, sino hasta en libros de óptica general. En inglés se llama “pencil of rays” al conjunto de rayos que salen de un punto emisor. De cada punto de una llama en una vela, o de lo que sea que este emitiendo. Se lo traduce como haz de rayos. En inglés sin embargo se usa la palabra “beam of rays” para hablar de un conjunto de “pencils”, que sin embargo seguimos traduciendo como haz de rayos. No es lo mismo un conjunto de rayos que salen de un punto, un ”pencil” (en los que podemos medir la vergencia, en dioptrías, como la inversa de la distancia en metros al punto de origen), que el conjunto de rayos que salen de distintos puntos, de toda la llama de todo el sol o un auto, en los cuales formaremos al enfocarlos una imagen completa con rayos que vienen de varios puntos y que no tiene sentido hablar de vergencia porque al ser una superficie extensa la emisora puede tener diferentes vergencias en cada punto más adelante, al costado o atrás.

Referencias bibliográficas:

1. American Academy of Ophthalmology. Basic and Clinical Course, section 2: Optics Refraction and Contact Lenses 1987- 1988.

2. American Academy of Ophthalmology. Basic and Clinical Course, section 3: Optics Refraction and Contact Lenses 2000-2001

3. American Academy of Ophthalmology. Basic and Clinical Course, section 3: Clinical Optics. 2017-2018

4. Arnold, Robert W MD, FAAP; Andrew W. Arnold, BA, COA; Taryn T. HuntSmith; Robin L. Grendahl, MD, FAAP; R. Kevin Winkle, MD, FAAP The Positive Predictive Value of Smartphone Photoscreening in Pediatric Practices Journal of Pediatric Ophthalmology and Strabismus. 2018;55(6):393-396 https://doi.org/10.3928/01913913-20180710-01

5. Belmonte González Sobre Refracción Ocular. Ediciones Doyma 1980".

6. Carlson N., Kurtz D., Heath D. and Hines C. Clinical procedures for ocular examinations. Appleton and Lange 1990.

7. Duke Elder and Abrams System of Ophthalmology Vol 10 Ophthalmic Optics and Refraction. Henry Kimpton 1970.

8. Essilor Laboratoires Medicaux : Cahiers d'Optique Oculaire.1975

9. Gil del Río: Sobre Refracción Ocular Capitulo 17.

10. Le Grand Yves, Óptica Fisiológica tomo 1 La dióptrica del ojo y su compensación. Sociedad española de optometría. 1984

11. Herreman Cornu R. Manual de Refractometria Clinica Salvat 1980.

12. Márquez El verdadero mecanismo de la esquiascopia. Arch. Oftalmolog. hispanoameric. XIX n. 225, pag. 525-596. Set. 1919.

13. Márquez, Lecciones de Refraccion Ocular Edición Principe 1926, reproducido como homenaje por Essilor España en 1981.

14. Michaels D. MD Visual Optics and refraction 2 edit, Mosby 1980.

15. Michaels D. MD Basic Refraction Technics Raven Press 1989.

16. Milder Benjamin and Rubin Melvin The fine art of prescribing Glasses without making a spectacle of yourself Triad Scientific Publishers.1975

17. Monoyer: Optometrie Scotoscopique" revue General d'Ophthalmologie #12 diciembre 1887 pag. 529-549.

18. Monoyer: Optometrie Scotoscopique Revue General d'Ophthalmologie # 7 julio 1888 pag. 289-311.

19. Pascal Joseph I. Studies in Visual Optics. St. Louis Mosby 1952.

20. Roe L. y Guyton D. The red Reflex from retinoscopy's point of View. Reflections on a small area. Survey of Ophthalmology 28-4:345-348, jan 1984.

21. Roe L. y Guyton D. An Ophthalmoscope is not a retinoscope. The difference is in the red reflex. Survey of Ophthalmology 28-5:405-408, march 1984.

22. Rolland Theorie de la skiascopie. Ann. d'Occul. Diciembre 1905.

23. Rubin Melvin L. Optics for Clinicians Triad Publishing company 1993. 1 edición 1971

24. Safir Aran Retinoscopy. Dua ne's Clinical Ophthalmology. Vol 1. Chapter 37.

25. Singhal N.C. Principles and Practice of Refraction and Optics Jaypee1996

26. Verdaguer y Barreau K: Refracción Clínica Simposium Edit. Andres Bello 1969

Turn static files into dynamic content formats.

Create a flipbook
Issuu converts static files into: digital portfolios, online yearbooks, online catalogs, digital photo albums and more. Sign up and create your flipbook.