Lunga

Page 1

LUNGNAKRABBAMEIN

Fræðslurit fyrir heilbrigðisstarfsfólk og almenning

Lungnakrabbameinsbókin

©Tómas Guðbjartsson 2024

Útgefandi: Tómas Guðbjartsson

Útlit: bjorgvilhjalms.is

Teikningar: Árni Árnason

Forsíðumynd: Árni Árnason

Prófarkalestur: irisolof.com

Prentun: Prentmet Oddi

Letur í meginmáli: Inter Extra Light 10,5/14

Bók þessa má ekki afrita með neinum hætti, svo sem ljósmyndun, prentun, hljóðritun eða á annan sambærilegan hátt, að hluta eða í heild, án skriflegs leyfis höfundar og útgefanda.

ISBN 978-9935-25-524-2

Reykjavík 2024

LUNGNAKRABBAMEIN

Fræðslurit fyrir heilbrigðisstarfsfólk og almenning

Ritstjóri: Tómas Guðbjartsson

EFNISYFIRLIT

5 Formáli

6 Höfundar

8 Inngangur

10

1. Kafli Líffærafræði lungna

14 2. Kafli Faraldsfræði

18 3. Kafli Áhættuþættir og erfðir

24

4. Kafli Reykingar og reykingavarnir

54 5. Kafli Einkenni og teikn

60

6. Kafli Snemmgreining og skimun

64 7. Kafli Vefjafræði, vefjaflokkun og sameindameinafræði

72

94

8. Kafli Greining og stigun

9. Kafli Skurðmeðferð

106 10. Kafli Undirbúningur sjúklinga fyrir skurðaðgerð

112 11. Kafli Geislameðferð

118

126

12. Kafli Lyfjameðferð

13. Kafli Lífshorfur og forspárþættir

Formáli

Á vormánuðum 2009 kom út kver um lungnakrabbamein sem var samstarfsverkefni níu lækna sem allir sinntu greiningu og meðferð lungnakrabbameinssjúklinga á Íslandi. Ári áður hafði sami hópur lækna birt yfirlitsgrein um lungnakrabbamein í Læknablaðið, sem líkt og kverið var skrifað með lækna og annað heilbrigðisstarfsfólk í huga, en ekki síður nema í heilbrigðisvísindum. Í byrjun árs 2022 birtist ný yfirlitsgrein í Læknablaðinu þar sem megináhersla var lögð á nýjungar í greiningu og meðferð lungnakrabbameins, en þar hafa orðið stórstígar framfarir sl. áratug. Því var ljóst að lungnakrabbameinskverið frá 2009 þyrfti að uppfæra, en frá því það kom út hefur það verið helsta kennsluefni lækna­ og hjúkrunarnema hérlendis.

Í stað þess að uppfæra lungnakrabbameinskverið 2009 var ákveðið að ráðast í nýtt og stærra rit, Lungnakrabbameinsbókina, sem er öllum aðgengileg á vefsíðunni www.lungnakrabbamein.is og er ætluð heilbrigðisstarfsfólki og nemum í heilbrigðisvísindum, en einnig almenningi. Ekki aðeins hafa kaflarnir úr lungnakrabbameinskverinu verið uppfærðir heldur hafa nokkrir nýjir kaflar bæst við, m.a. ítarlegur kafli um reykingavarnir og hvernig hætta má reykingum. Auk þess hefur allt myndefni og töflur verið uppfærðar. Höfundar eru flestir þeir sömu og komu að Lungnakrabbameinskverinu, en allmargir nýjir og yngri sérfræðingar bæst við.

Þetta kver hefði ekki orðið að veruleika án stuðnings frá fyrirtækjum og einstaklingum sem styrktu útgáfuna án nokkurra skilyrða um innihald eða efnistök. Fyrir hönd höfunda vil ég þakka þessum styrktaraðilum, en einnig Árna Árnasyni grafískum hönnuði fyrir gerð teikninga og mynda og Björgu Vilhjálmsdóttur hönnuði sem sá um útlit.

Reykjavík, 4. febrúar 2024

Tómas Guðbjartsson, ritstjóri

Lungnakrabbameinsbókin 5

Höfundar

Agnes Smáradóttir er yfirlæknir krabbameinsdeildar Landspítala og sérhæfir sig í meðhöndlun lungnakrabbameins. Hún stundaði framhaldsnám í almennum lyflækningum, krabbameinslækningum og blóðmeinafræði við University of Connecticut í Bandaríkjunum.

Bylgja Hilmarsdóttir er sérfræðingur í sameindameinafræðilegum greiningum og starfar á meinafræðideild Landspítala við þjónustu- og vísindarannsóknir. Hún lauk doktorsprófi frá Háskóla Íslands í líf- og læknavísindum en hefur einnig starfað við rannsóknir við Háskólasjúkrahúsið í Osló.

Guðrún Nína Óskarsdóttir er sérfræðingur í lungnalækningum frá háskólasjúkrahúsinu í Lundi og hefur lokið doktorsprófi við læknadeild Háskóla Íslands. Hún hefur stundað klínískar rannsóknir á lungnakrabbameini bæði í Svíþjóð og á Íslandi.

Hrönn Harðardóttir er lungnalæknir og starfar á Landspítala. Hún stundaði framhaldsnám í lungnalækningum við Radbout háskólasjúkrahúsið í Nijmegen í Hollandi og hefur verið í forsvari fyrir svokallaðri flýtigreiningu lungnaæxla á Landspítala. Hún stundar doktorsnám við læknadeild Háskóla Íslands tengt lungnakrabbameini.

Karl Andersen er prófessor í hjartalækningum við læknadeild Háskóla Íslands og yfirlæknir við hjartadeild Landspítala. Hann lauk sérnámi við Sahlgrenska háskólasjúkrahúsið í Gautaborg og doktorsprófi þaðan 1997, og hefur um árabil setið í fagvarnaráði reykingavarna Landlæknisembættisins.

Lára G. Sigurðardóttir starfar sem læknir á Sjúkrahúsinu Vogi og lauk doktorsnámi í lýðheilsuvísindum frá Háskóla Íslands í samstarfi við Harvard School of Public Health og Hjartavernd. Nú stundar hún nám í heildrænni læknisfræði.

Ingibjörg Guðmundsdóttir er meinafræðingur á Landspítala með sérhæfingu í frumumeinafræði frá St. Olavs sjúkrahúsinu í Þrándheimi. Hún vann lengst af hjá Krabbameinsfélagi Íslands.

Jurate Ásmundsson er sérfræðingur í meinafræði og frumumeinafræði við Landspítala og lauk sérnámi frá Karolinska sjúkrahúsinu í Stokkhólmi.

Pétur H. Hannesson er yfirlæknir röntgendeildar Landspítala. Hann stundaði framhaldsnám í myndgreiningu við Háskólasjúkrahúsið í Lundi og hefur sérhæft sig í greiningu krabbameina.

6 Lungnakrabbameinsbókin

Sif Hansdóttir stundaði sérnám í lungna- og gjörgæslulækningum við háskólasjúkrahúsið í Iowa City og lauk doktorsprófi frá læknadeild Háskóla Íslands. Hún er yfirlæknir lungna- og svefnlækninga á Landspítala og hefur sérhæft sig í greiningu sjúklinga með lungnakrabbamein.

Sigríður Ó. Haraldsdóttir er sérfræðingur í lyf- og lungnalækningum og stundaði sérfræðinám við Ullevål háskólasjúkrahúsið í Osló. Hún er sérfræðilæknir á lungnadeild Landspítala.

Steinn Jónsson er prófessor emeritus við læknadeild Háskóla Íslands og fyrrum yfirlæknir við lyflækningadeild Landspítala. Hann stundaði framhaldsnám í lungnaog gjörgæslulækningum við Baylor College of Medicine í Houston í Bandaríkjunum og hefur leitt samstarfsverkefni Landspítala og Íslenskrar erfðagreiningar um lungnakrabbamein.

Tómas Guðbjartsson er prófessor í skurðlækningum og yfirlæknir á skurðdeild Landspítala. Hann stundaði sérfræðinám í hjarta- og lungnaskurðlækningum í Lundi í Svíþjóð og við Harvard Háskóla í Boston. Tómas er doktor frá Háskóla Íslands og hefur um árabil stundað rannsóknir á árangri skurðaðgerða við lungnakrabbameini. Hann á sæti í fagvarnaráði reykingavarna Landlæknisembættisins.

Vaka Ýr Sævarsdóttir er krabbameinslæknir og starfar á Landspítala við geislameðferð. Hún lauk sérnámi í krabbameinslæknisfræði á Rigshospitalet í Kaupmannahöfn og við Háskólasjúkrahús Sjálands í Hróarskeldu. Viktor Ásbjörnsson er læknanemi á 4. ári við Háskóla Íslands og stundar rannsóknir á lungnakrabbameini.

Þórunn Rafnar lauk doktorsprófi í sameindalíffræði frá University of North Carolina og starfaði síðan við Johns Hopkins School of Medicine í Baltimore. Hún er deildarstjóri krabbameinsrannsókna hjá Íslenskri erfðagreiningu.

Örvar Gunnarsson er krabbameinslæknir á Landspítala og sérhæfir sig í meðferð lungnakrabbameins. Hann lauk sérnámi í lyflækningum í Boston og framhaldsnámi í krabbameinslækningum og blóðmeinafræði við Háskólasjúkrahúsið í Pennsilvaniu.

Lungnakrabbameinsbókin 7
8 Lungnakrabbameinsbókin

Inngangur

Tómas Guðbjartsson

Lungnakrabbamein er í dag annað algengasta krabbameinið hjá konum á Íslandi og það þriðja hjá körlum. Enda þótt hægt hafi á nýgengi sjúkdómsins á undanförnum árum er ekkert krabbamein sem leggur fleiri Íslendinga að velli, eða fleiri en ristil, brjósta­ og blöðruhálskrabbamein samanlagt. Einkenni lungnakrabbameins geta verið staðbundin, en eru oftar almenns eðlis, sem skýrir af hverju meirihluti sjúklinga greinist með útbreiddan sjúkdóm. Áhugi á skimun með lágskammta tölvusneiðmyndum hefur því aukist, enda hafa nokkrar stórar rannsóknir sýnt fram á lækkun dánar tíðni í hópi skimaðra.

Á síðastliðnum tveimur áratugum hafa orðið miklar framfarir í greiningu lungnakrabbameins, ekki síst með tilkomu jáeindaskanna og berkjuómspeglunar, sem hafa bætt stigun sjúkdómsins og gert meðferð markvissari. Sömuleiðis hafa orðið miklar framfarir í meðferð sjúkdómsins, ekki síst með tilkomu skurðaðgerða þar sem notast er við brjóstholssjá sem stytt hafa legutíma og fækkað fylgikvillum. Sömuleiðis nýtist hnitmiðuð geislameðferð oftar sjúklingum sem ekki er treyst í skurðaðgerð. Mestar hafa framfarirnar þó orðið í meðferð útbreidds lungnakrabbameins, ekki síst með tilkomu öflugra líftækniog ónæmishvetjandi lyfja sem nota má til að klæðskerasauma meðferð út frá mælingum á stökkbreytingum og lífmörkum í æxlunum.

Lungnakrabbameinsbókin 9

1. Kafli

Líffærafræði lungna

Guðrún Nína Óskarsdóttir og Tómas Guðbjartsson

Hlutverk lungna er aðallega tvíþætt, annars vegar að flytja súrefni úr andrúmslofti til blóðsins sem ber það áfram um líkamann, og hins vegar að losa líkamann við koltvísýring sem myndast við efnaskipti.

Lungun eru sitthvoru megin í brjóstholinu og utan um þau himna sem kallast fleiðra (pleura viscerale). Hún klæðir einnig brjóstholið að innanverðu (pleura parietale), en á milli þeirra er fleiðruhol þar sem er neikvæður þrýstingur.1 Lungun eru aðskilin frá kviðnum með þindinni (diaphragma) en á milli þeirra er miðmæti (mediastinum) sem m.a. hýsir hjartað, barka, vélinda, hóstarkirtil, ósæð og fjölda eitla.

Við innöndun berst andrúmsloft í gegnum munn og nef ofan í barka (trachea), og þaðan í meginberkjur til hægra og vinstra lunga. Meginberkjurnar eru klæddar bifháraþekju og greinast síðan áfram í smærri berkjur uns komið er ofan í lungnablöðrur (alveoli) þar sem öndunin fer fram. Lungnablöðrurnar eru um 300 milljón talsins og yfirborð þeirra allt að 70-100 fermetrar.

Hægri meginberkja greinist í þrjár blaðberkjur. Lungnavefur umlykur berkjurnar og kallast lungnablað (lobe). Í hægra lunga eru því þrjú lungnablöð, efra­, mið­ og neðra lungnablað og eru því tvær skorur (fissure) á milli þeirra (mynd 1-1).

10 Lungnakrabbameinsbókin

efra blað

minni skora

miðblað

stærri skora

neðra blað

efra blað

þverskora

neðra blað

1. Kafli - Líffærafræði lungna 11
Mynd 1-1 Lungnablöð (lobes) og skorur (fissures). hægra lunga vinstra lunga

efra blað

miðblað

apical

posterior

apicoposterior

anterior anterior superior lingula inferior lingula lateral medial

medial basal anterior basal

superior lateral basal

superior anterormedial basal

efra blað

neðra blað

12 Lungnakrabbameinsbókin
Mynd 1-2 Geirar (segment) beggja lungna. neðra blað posterior basal (sést ekki) posterior basal (sést ekki) hægra lunga vinstra lunga

Vinstra meginberkja greinist í tvær blaðberkjur og þeim megin eru því aðeins tvö lungnablöð, efra og neðra blað, og á milli þeirra þverskora. Heildarrúmmál vinstra lunga er aðeins minna (45%) en þess hægra (55%). Blaðberkjur beggja lungna greinast síðan í enn minni berkjur sem kallast geirar (segments) og eru 10 geirar í hægra lunga og 9 í því vinstra2, 3 (mynd 1-2)

Stærstu berkjur eru nærðar með slagæðum frá ósæð en langmest af blóðflæði lungna fer í gegnum æðar sem liggja meðfram berkjugreinunum, annars vegar greinar frá lungnaslagæð úr hægri slegli og hins vegar greinar sem berast í gegnum lungnabláæð til vinstri gáttar. Umhverfis lungnablöðrurnar er siðan þétt háræðanet þar sem loftskiptin fara fram.

Til stærri berkja liggur einnig ríkulegt tauganet, m.a skyntaugar sem geta valdið hósta en sjaldan verkjum. Krabbamein sem staðsett er miðlægt í lunganu veldur því sjaldan verkjum, en séu þau randstæð og teygi sig út í fleiðru, eru verkir tíðir, enda verkjaviðtakar þar margir.1 Ef núningur myndast í fleiðrunni vegna krabbameins, þá getur myndast vökvi í fleiðruholi, sem aftur getur valdið samfalli á hluta lungans og mæði.

Eitilvefur er dreifður um lungnavefinn og eru þessir eitlar mikilvægur hluti ónæmiskerfisins. Þeir eru mikilvægir við stigun lungnakrabbameins og er staðsetning þeirra skipt í þrjú svæði, N1-3 (sjá nánar mynd 8-6 í kafla 8). Algengast er að meinið sái sér fyrst til eitla í sama lungnablaði (N1 eitlar), eða til eitla sömu megin í miðmæti (N2­eitlar), en við dreifðan sjúkdóm getur það sáð sér til eitla utan lungna, eða jafnvel gagnstæðu megin í miðmæti (N3­eitlar).

Heimildir

1. DeBiasi EM, Feller-Kopman D. Anatomy and applied physiology of the pleural space. Clin Chest Med. 2021;42(4):567-576.

2. Chaudhry R, Bordoni B. Anatomy, Thorax, Lungs. StatPearls. Treasure Island (FL)2023.

3. Alper S JEW. Lung innate immunity and Innflammation methods and protocols methods in molecular Biology 1809 [Internet]. http://www.springer.com/series/7651.

1. Kafli - Líffærafræði lungna 13

2. Kafli

Faraldsfræði

Hrönn Harðardóttir og Tómas Guðbjartsson

Á Íslandi er lungnakrabbamein annað algengasta krabbameinið hjá konum og í fjórða sæti hjá körlum (tafla 2-1). Á árinu 2020 greindust í kringum 170 einstaklingar með meinið en sama ár létust 121 einstaklingar úr sjúkdómnum,1 sem eru fleiri en samanlagður fjöldi þeirra sem lést úr brjósta­, blöðruháls­ og ristilkrabbameini hérlendis.2, 3 Sjúkdómurinn er afar sjaldgæfur undir fertugu en upp frá miðjum aldri hækkar nýgengið hratt hjá báðum kynjum og eru flestir sem greinast um sjötugt (mynd 2-1).

Nýgengi lungnakrabbameins hefur aukist frá því skipulögð skráning krabbameina hófst hér á landi árið 1955 þar til 1980 að draga fór úr því. Síðustu tvo áratugina hefur nýgengið síðan lækkað hjá báðum kynjum (mynd 2-1), sem aðallega skýrist af minni reykingum.4 Er aldursstaðlað nýgengi nú 47,8 /100.000 karlar, sem er ívið lægra en fyrir íslenskar konur, þar sem það er 61,8 fyrir hverja 100.000 konur.1 Frá árinu 2018 er lungnakrabbamein algengara meðal kvenna en karla, sem er óvenjulegt á heimsvísu.5 Reyndar er nýgengi lungnakrabbameins á meðal íslenskra kvenna með því hæsta sem þekkist, og má skýra með útbreiddum reykingum íslenskra kvenna upp úr síðari heimsstyrjöld, líkt og sást hjá stallsystrum þeirra í Bandaríkjunum.

14 Lungnakrabbameinsbókin

Tafla 2-1

Algengustu krabbamein á Íslandi 2017-2018 skv. Krabbameinsskrá Krabbameinsfélags Íslands.

KARLAR

2. Kafli - Faraldsfræði 15 KONUR Upprunalíffæri Meðalfjöldi árin 2017-2021 Hlutfall af öllum meinum % Brjóst 248 28 Lungu 94 11 Ristill og endaþarmur 94 11 Húð án sortuæxla 78 9 Heili og miðtaugakerfi 34 4 Legbolur 33 4 Eggjastokkar og eggjaleiðarar 27 3 Sortuæxli í húð 27 3 Eitilfrumuæxli 27 3 Þvagvegir og þvagblaðra 25 3
Upprunalíffæri Meðalfjöldi árin 2017-2021 Hlutfall af öllum meinum % Blöðruhálskirtill 218 24 Ristill og endaþarmur 97 11 Húð án sortuæxla 81 9 Lungu 77 9 Þvagvegir og þvagblaðra 70 8 Nýru 40 4 Eitilfrumuæxli 35 4 Heili og miðtaugakerfi 29 3 Bris 21 2 Sortuæxli í húð 21 2

Konur Karlar

Mynd 2-1

Nýgengi lungnakrabbameins á Íslandi fyrir konur og karla. Byggt á gögnum frá Krabbameinsskrá Krabbameinsfélags Íslands.

16 Lungnakrabbameinsbókin

Ef tekið er mið af þróun nýgengis lungnakrabbameins og reykingavenjum Íslendinga mun aldursstaðlað nýgengi lungnakrabbameina halda áfram að lækka hjá bæði körlum og konum, en sennilega verður þróunin áfram hægari hjá konum en körlum.3 Dánartíðni af völdum lungnakrabbameins er sömuleiðis lækkandi, en er engu að síður langhæst allra krabbameina hérlendis og leggur um 120 einstaklinga að velli árlega.3 Lífshorfur sjúklinga hafa batnað og í dag má gera ráð fyrir að í kringum 20% þeirra séu á lífi fimm árum frá greiningu, sem er ívið hærra en í mörgum nágrannalöndum okkar.1

Heimildir

1. Danckert B FJ, Engholm G, Hansen HL, Johannesen TB, Khan S, Køtlum JE, Ólafsdóttir E, Schmidt LKH, Virtanen A and Storm HH. NORDCAN. Version 8.2 (26.03.2019).

2. https://www.hagstofa.is/

3. Tryggvadóttir L, Ólafsdóttir E og Birgisson H. Krabbameinsskrá Íslands hjá Krabbameinsfélagi Íslands 30.03.2021.

4. Talnabrunnur (2020, 14. árgangur, 2. tölublað ), fréttabréf landlæknis um heilbrigðisupplýsingar. Sott af https://www.landlaeknir.is/servlet/file/store93/item39682/Talnabrunnur_Mars_2020.pdf. 2020.

5. Sharma R. Mapping of global, regional and national incidence, mortality and mortality- toincidence ratio of lung cancer in 2020 and 2050. Int J Clin Oncol. 2022;27(4):665-675.

2. Kafli - Faraldsfræði 17

3. Kafli

Áhættuþættir og erfðir

Steinn Jónsson, Sif Hansdóttir og Þórunn Rafnar

Reykingar eru taldar valda a.m.k. um 85% tilfella lungnakrabbameins og þannig er meira vitað um orsakir þess en nokkurs annars krabbameins. Tengslin eru sterkust við flöguþekjukrabbamein og smáfrumukrabbamein, en heldur veikari fyrir kirtilmyndandi krabbamein.1, 2 Í íslenskri rannsókn á 105 sjúklingum með lungnakrabbamein höfðu 93% reykt að meðaltali 20 sígarettur á dag en 7% höfðu aldrei reykt,3 sem er ívið lægra en í flestum erlendum rannsóknum þar sem hlutfallið er oft í kringum 20%.4 Hættan á lungnakrabbameini minnkar hjá þeim sem ná að hætta að reykja, og hjá þeim sem hætta fyrir miðjan aldur lækkar áhættan um 90%5. Einnig sýna fjölmargar rannsóknir að óbeinar reykingar auka áhættu á lungnakrabbameini hjá reyklausum,6 og hafa meiri áhrif á börn og unglinga en fullorðna.7 Loks geta ýmis eiturefni í umhverfi og á vinnustað aukið áhættuna verulega svo sem asbest, radon, arsenic og fleiri slík efni.8

Með reykbindindi minnkar áhætta á lungnakrabbameini í 15 ár eftir að reykingum er hætt, eða úr allt að þrítugfaldri áhættu í um tvöfalda áhættu.9, 10 Vegna mikils fjölda fyrrverandi reykingamanna eru álíka mörg tilfelli lungnakrabbameins nú greind meðal fyrrverandi reykingamanna

18 Lungnakrabbameinsbókin

og þeirra sem enn reykja.11 Svo virðist sem hátt hlutfall grænmetis og ávaxta í fæðu geti lækkað áhættu á lungnakrabbameinum12, en það hefur þó ekki verið sannað í framvirkum samanburðarrannsóknum.13

Einstaklingar virðast misnæmir fyrir krabbameinsvaldandi efnum í tóbaksreyk sem endurspeglast í þeirri staðreynd að aðeins 16% reykingamanna fá lungnakrabbamein.10 Ennfremur hafa sjúklingar með reykingatengda lungnateppu margfalt hærri tíðni lungnakrabbameins, sem ýtir stoðum undir að um sameiginlegan erfðaþátt sé að ræða í báðum þessum sjúkdómum.14, 15, 16, 17

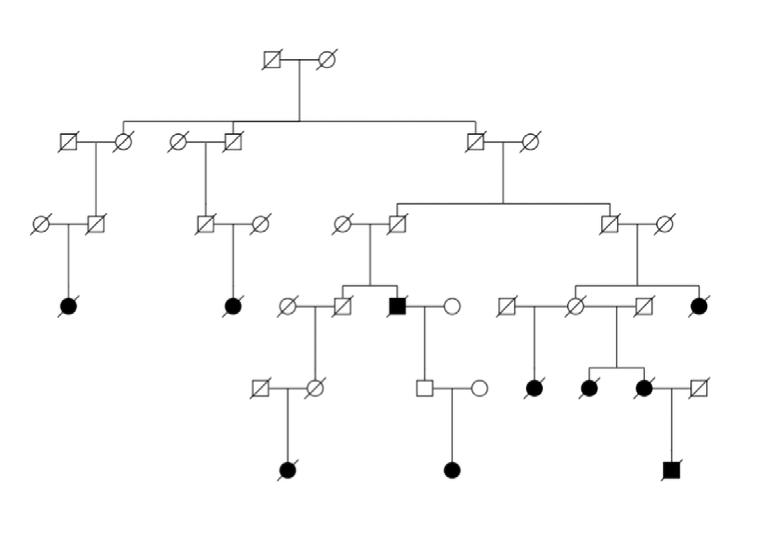
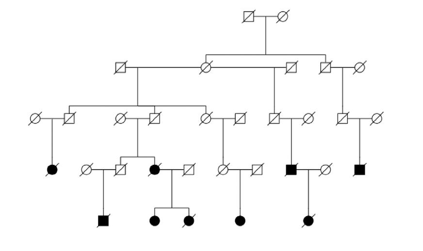
Lungnakrabbamein geta legið í ættum (mynd 3-1). Íslensk rannsókn sem byggði á gögnum úr krabbameinsskrá K.Í. og ættfræðigrunni Íslenskrar erfðagreiningar sýndi meira en tvöfalda áhættu á lungnakrabbameini hjá nákomnum ættingjum lungnakrabbameinssjúklinga (mynd 3-1). Einnig sást marktækt aukin áhætta hjá fjarskyldari ættingjum sem ýtir stoðum undir tilvist erfðaþátta, enda sameiginleg umhverfisáhrif síður til staðar hjá þeim en nákomnum ættingjum.18 Keimlíkar niðurstöður fengust í safngreiningu (meta­analysis) og þykir

3. Kafli - Áhættuþættir og erfðir 19

Mynd 3-1

Reykingar eru langstærsti áhættuþáttur lungnakrabbameins, en erfðaþættir skipta líka máli eins og sést á því að lungnakrabbamein er algengara í ættingjum lungnakrabbameinssjúklinga en almennu þýði. Myndin sýnir þrjár tilbúnar fjölskyldur þar sem karlar með lungnakrabbamein eru merktir með dökkum ferningi og konur með dökkum hring. Mynd: Tómas Guðbjartsson.

20 Lungnakrabbameinsbókin

renna frekari stoðum undir hlutverk erfða í lungnakrabbameini.19 Rannsóknir með erfðamengisleit (genome­wide association studies), m.a. hér á landi, hafa leitt í ljós nokkra algenga erfðabreytileika sem tengjast áhættu á krabbameini í lungum og efri loftvegum. Það er áhugavert að sterkustu tengslin eru við erfðabreytileika á svæði sem inniheldur gen sem skrá fyrir nikotínviðtaka (nicotinic acetylcholine receptor, nAChR) og tengjast því nikótínfíkn.20 Meðal annarra erfðabreytileika sem hafa áhrif á hættu á krabbameini í lungum má nefna breytileika í BRCA2 geninu sem finnst í um 2% fólks af evrópskum uppruna.21 Þessi erfðabreytileiki hefur þá sérstöðu að tengjast ekki áhættu á krabbameini í brjóstum og eggjastokkum heldur einungis krabbameinum sem hafa sterkan umhverfisþátt eins og lungnakrabbamein, og húðkrabbamein.

Gera má ráð fyrir að þekking sem byggist á erfðarannsóknum muni á næstu árum nýtast í forvarnarskyni og fræðslu til almennings, og mögulega einnig við skimun og þróun nýrra meðferða.

3. Kafli - Áhættuþættir og erfðir 21

Heimildir

1. Miller YE, Franklin WA. Molecular events in lung carcinogenesis. Hematol Oncol Clin North Am. 1997;11(2):215-234.

2. Wynder EL, Graham EA. Landmark article May 27, 1950: Tobacco Smoking as a possible etiologic factor in bronchiogenic carcinoma. A study of six hundred and eighty-four proved cases. By Ernest L. Wynder and Evarts A. Graham. Jama. 1985;253(20):2986-2994.

3. Sigurdsson A, Isaksson HJ, Kristjansson K, Jonsson S. Þáttur reykinga í myndun lungnakrabbameins á Íslandi. Rannsóknarráðstefna 4. árs læknanema (ágrip). 2001 (apríl).

4. Dias M, Linhas R, Campainha S, Conde S, Barroso A. Lung cancer in never-smokers - what are the differences? Acta Oncol. 2017;56(7):931-935.

5. Peto R, Darby S, Deo H, Silcocks P, Whitley E, Doll R. Smoking, smoking cessation, and lung cancer in the UK since 1950: combination of national statistics with two case-control studies. BMJ. 2000;321(7257):323-329.

6. Tobacco smoke and involuntary smoking. IARC Monogr Eval Carcinog Risks Hum. 2004;83:11438.

7. Janerich DT, Thompson WD, Varela LR, Greenwald P, Chorost S, Tucci C, et al. Lung cancer and exposure to tobacco smoke in the household. N Engl J Med. 1990;323(10):632-636.

8. Turner MC, Andersen ZJ, Baccarelli A, Diver WR, Gapstur SM, Pope CA, 3rd, et al. Outdoor air pollution and cancer: An overview of the current evidence and public health recommendations. CA Cancer J Clin. 2020.

9. Anthonisen NR, Skeans MA, Wise RA, Manfreda J, Kanner RE, Connett JE. The effects of a smoking cessation intervention on 14.5-year mortality: a randomized clinical trial. Ann Intern Med. 2005;142(4):233-239.

10. Doll R, Peto R, Boreham J, Sutherland I. Mortality in relation to smoking: 50 years’ observations on male British doctors. Bmj. 2004;328(7455):1519.

11. Tong L, Spitz MR, Fueger JJ, Amos CA. Lung carcinoma in former smokers. Cancer 1996;78(5):1004-1010.

22 Lungnakrabbameinsbókin

12. Skuladottir H, Tjoenneland A, Overvad K, Stripp C, Olsen JH. Does high intake of fruit and vegetables improve lung cancer survival? Lung Cancer. 2006;51(3):267-273.

13. Feskanich D, Ziegler RG, Michaud DS, Giovannucci EL, Speizer FE, Willett WC, et al. Prospective study of fruit and vegetable consumption and risk of lung cancer among men and women. J Natl Cancer Inst. 2000;92(22):1812-1823.

14. Skillrud DM, Offord KP, Miller RD. Higher risk of lung cancer in chronic obstructive pulmonary disease. A prospective, matched, controlled study. Ann Intern Med. 1986;105(4):503-507.

15. Tockman MS, Anthonisen NR, Wright EC, Donithan MG. Airways obstruction and the risk for lung cancer. Ann Intern Med. 1987;106(4):512-518.

16. Petty TL. Are COPD and lung cancer two manifestations of the same disease? Chest. 2005;128(4):1895-1897.

17. Schwartz AG, Ruckdeschel JC. Familial lung cancer: genetic susceptibility and relationship to chronic obstructive pulmonary disease. Am J Respir Crit Care Med. 2006;173(1):16-22.

18. Jonsson S, Thorsteinsdottir U, Gudbjartsson DF, Jonsson HH, Kristjansson K, Arnason S, et al. Familial risk of lung carcinoma in the Icelandic population. Jama. 2004;292(24):29772983.

19. Bailey-Wilson JE, Amos CI, Pinney SM, Petersen GM, de Andrade M, Wiest JS, et al. A major lung cancer susceptibility locus maps to chromosome 6q23-25. Am J Hum Genet 2004;75(3):460-474.

20. Thorgeirsson TE, Geller F, Sulem P, Rafnar T, Wiste A, Magnusson KP, et al. A variant associated with nicotine dependence, lung cancer and peripheral arterial disease. Nature 2008;452(7187):638-642.

21. Rafnar T, Sigurjonsdottir GR, Stacey SN, Halldorsson G, Sulem P, Pardo LM, et al. association of BRCA2 K3326* with small cell lung cancer and squamous cell cancer of the skin. J Natl Cancer Inst. 2018;110(9):967-974.

3. Kafli - Áhættuþættir og erfðir 23

4. Kafli

Reykingar og reykingavarnir

Lára G. Sigurðardóttir, Karl K. Andersen, Viktor Ásbjörnsson og Tómas Guðbjartsson

Af öllum uppfinningum mannsins hefur engin orðið eins mörgum að aldurtila og reyktóbak. Á hverju ári deyja um 8 milljónir manna í heiminum vegna reykinga, þar af 12,5% vegna óbeinna reykinga. Það samsvarar því að á hverjum einasta degi láti 22 þúsund manns lífið vegna reykinga.1

Helmingur fólks sem reykir að staðaldri deyr fyrir aldur fram vegna reykingatengdra sjúkdóma, aðallega krabbameina, hjarta­ og æðasjúkdóma og langvinnrar lungnateppu.1-3 Þá er ótalinn samfélagskostnaður vegna veikinda, sjúkrakostnaðar, vinnutaps og örorku en það er langt frá því að skattlagning á tóbak standi undir þeim kostnaði. Þó að reykingar hafi minnkað umtalsvert á Vesturlöndum síðustu þrjá áratugina vegna markvissra forvarnaraðgerða þá er vandinn vaxandi í mörgum fátækari löndum eins og í Asíu og Afríku.4

Talið er að reykingar orsaki um 85% lungnakrabbameina, sem aðallega má skýra með beinum reykingum en einnig að hluta til óbeinum reykingum.5 Um fáa sjúkdóma er jafn mikið vitað hvað orsakir varðar og í tilfelli lungnakrabbameins, og ljóst að hægt er að fyrirbyggja þorra tilfella með því að útrýma reykingum.

Saga reykinga

Vitað er að fyrir þúsund árum reyktu Maya­indíánar lauf tóbaksplöntunnar (mynd 4-1) í trúarathöfnum og að töfralæknar hafi notað reykinn til að greina krankleika hjá veikum.6

24 Lungnakrabbameinsbókin
4. Kafli - Reykingar og reykingavarnir 25
Mynd 4-1 Tóbaksplöntuakur. Heimild: Wikipedia.
26 Lungnakrabbameinsbókin
Mynd 4-2 Kyntáknið James Dean og Hollywoodleikarinn Ronald Regan, sem síðar varð forseti Bandaríkjanna, voru á meðal þeirra sem sígarettufyrirtæki fengu til að auglýsta sígarettur upp úr síðari heimsstyrjöld. Heimild: Wikipedia.

Síðar tóku fleiri að nota tóbak þar sem fólk taldi ranglega að tóbak gæti unnið á alls konar kvillum, þ.á.m. skordýrabitum og þunglyndi. Reykingar breiddust enn frekar út þegar Christopher Columbus flutti fyrstur tóbakslauf og fræ frá Ameríku til Evrópu í kringum 1492.7, 8 Útbreiðsla reykinga tók síðan enn frekari kipp upp úr 1880 þegar byrjað var að framleiða sígarettur í verksmiðjum með svokölluðum Bonsack­vélum, sem hétu í höfuðið á uppfinningarmanninum sjálfum.9 Fimm áratugum síðar, nánar tiltekið upp úr 1930, birtust fyrstu tilfellaraðirnar sem tengdu saman reykingar og lungnakrabbamein.10 Niðurstöðurnar þóttu sláandi en fjölmiðlar voru tregir til að fjalla um þær til að styggja ekki tóbaksfyrirtækin sem auglýstu gjarnan í sömu blöðum. Í staðinn tókst sömu fyrirtækjum að festa rætur í Hollywood (mynd 4-2) og þannig baða sígarettur dýrðarljóma.11

Einnig voru læknar fengnir til að auglýsa sígarettur,12 m.a. hér á landi í Læknablaðinu (mynd 4-3). Segja má að gullöld reykinga hafi náð hámarki 1950 þegar helmingur íbúa iðnvæddra landa reykti.13 Hlutfallslega reyktu þó mun fleiri karlar, eða hátt í 80% fullorðinna breskra karlmanna. Á þessum tíma voru tóbaksvarnir varla til, enda litið á það sem sjálfsögð réttindi hvers og eins að reykja. Þetta breyttist þó upp úr 1950 þegar þýsk­ameríski læknirinn Ernst L. Wynder ásamt bresku tölfræðingunum Austin Bradford Hill og Sir Richard Doll (sem einnig var læknir) sýndu óyggjandi fram á tengsl reykinga við lungnakrabbamein.14 Enn fleiri rannsóknir bættust við og sýndu ekki aðeins tengsl reykinga við lungnakrabbamein, heldur fjölda annarra krabbameina og hjarta­ og æðasjúkdóma.15-17

4. Kafli - Reykingar og reykingavarnir 27
28 Lungnakrabbameinsbókin
Mynd 4-3 Auglýsing í Læknablaðinu sem prýddi forsíðu þess í nokkur ár í kringum 1917. Mynd: Læknablaðið.

Þrátt fyrir þessa vitneskju jukust vinsældir sígarettureykinga langt inn í tuttugustu öldina, ekki síst fyrir tilstilli auglýsingaherferða og ítaka tóbaksiðnaðarins í stefnumótun stjórnvalda. Á þessu varð þó breyting árið 1964 þegar bandaríska landlæknisembættið birti tímamótaskýrslu um skaðsemi reykinga.18 Upp úr þessu ákváðu sífellt fleiri að hætta að reykja, sérstaklega á meðal menntaðra karla, en reykingar héldu áfram að vera útbreiddar meðal kvenna og þeirra efnaminni.19 Árið 1972 urðu síðan þau tímamót að skaðsemi óbeinna reykinga var fyrst getið í skýrslu bandaríska landlæknisembættisins og árið 1986 þótti sannað að óbeinar reykingar gætu valdið lungnakrabbameini og væru sérstaklega skaðlegar börnum.20 Engu að síður héldu tóbaksfyrirtækin áfram uppi áróðri og töldu niðurstöðurnar umdeildar, þar til ársins 1998 þegar þau urðu að lúta í lægra haldi eftir röð málsókna á hendur þeim.21 Þau réttarhöld hófust fjórum árum áður og stóðu öll 50 fylki Bandaríkjanna að baki málshöfðuninni gegn öllum stærstu tóbaksframleiðendum. Varð að samkomulagi að tóbaksfyrirtækin myndu greiða 206 milljarða bandaríkjadala á 25 árum til að mæta hluta af þeim samfélagskostnaði sem fylgja reykingum.22 Með samkomulaginu var tóbaksiðnaðinum einnig settar skorður hvað varðar markaðssetningu tóbaks og framleiðendur taldir hafa afvegaleitt almenning um þann heilsufarsskaða sem hlýst af völdum reykinga og ávanabindingu nikótíns, ekki síst hjá ungu fólki.23 Bandaríska ríkið höfðaði síðan mál gegn tóbaksfyrirtækjunum árið 1999, stærsta mál sinnar tegundar. Í kjölfarið varð til Rammasamningur FCTC (Framework

4. Kafli - Reykingar og reykingavarnir 29

Convention on Tobacco Control) á vegum Alþjóðaheilbrigðismálastofnunarinnar (WHO)24 árið 2005, sem er gagnreyndur milliríkjasamningur. Í framhaldi af því tók fjöldi ríkja upp reglugerðir um tóbaksvarnir. Málaferlum gegn tóbaksfyrirtækjum er enn haldið áfram og þykja mikilvægur þáttur í alþjóða lýðheilsuaðgerðum.25 Afleiðingar þessara málsókna er að afkoma tóbaksfyrirtækjanna hefur versnað til muna og til að mæta því hafa sömu fyrirtæki sölsað undir sig rafsígarettu­ og nikótínpúðaiðnaðinn,26, 27 þar sem aðferðafræðin í markaðssetningu er ekki ósvipuð þeirri sem var beitt með sígarettureykingar á sínum tíma. Rafsígarettur og nikótínpúðar eru markaðssett sem skaðlausar vörur, og sérstaklega beint að börnum og ungmennum, t.d. í gegnum áhrifavalda og samfélagsmiðla (mynd 4-4). Þannig tryggja fyrirtækin sér framtíðarviðskiptavini, enda er nikótín algengasta og eitt sterkasta fíkniefnið sem hægt er að ánetjast.28, 29 Þannig sýndi nýleg rannsókn fram á að unglingar sem prófa rafsígarettur eru 3-4 sinnum líklegri til að reykja sígarettur síðar á ævinni miðað við þá sem ekki hafa notað þær.30

Baráttan heldur áfram og er mikilvægt hlutverk heilbrigðisfólks að berjast gegn nikótíni í hvaða formi sem er.

30 Lungnakrabbameinsbókin

Markaðssetning rafsígaretta minnir um margt á þá sem beitt var til að selja sígarettur á sínum tíma, og er markvisst beint að börnum og unglingum. Mynd: Tómas Guðbjartsson.

4. Kafli - Reykingar og reykingavarnir 31
Mynd 4-4

Mynd 4-5

Íslendingar voru í fararbroddi á heimsvísu að setja í reglu að merkja skyldi sígarettupakka með myndrænum viðvörunum.

32 Lungnakrabbameinsbókin

Tóbaksvarnir á Íslandi

Íslendingar hafa ætíð verið í fararbroddi tóbaksvarna. Hvergi í Evrópu31 er jafn lágt hlutfall reykingafólks og á Íslandi eða 6,2% árið 2022.32 Kynjahlutfall reyklausra er nokkuð jafnt, sem líta má sem eina birtingarmynd jafnréttis hérlendis.33 Svipaðri þróun hefur verið lýst í Noregi og Svíþjóð, sem þó eru á hælum okkar.31 Upphaf þessa forvarnarstarfs nær aftur til 1969 þegar þingmaðurinn Jón Ármann Héðinsson (1927-2023) lagði fyrstur fram á Alþingi frumvarp til laga um „Verslun ríkisins með áfengi, tóbak og lyf”34 sem miðaði að því að draga úr tóbaksreykingum. Meðal annars var ákvæði um að setja skyldi viðvörun á sígarettupakka um skaðsemi reykinga og var Ísland annað landið í heiminum til að taka upp slíkar merkingar.35 Tveimur árum síðar var þessum lögum breytt á þann veg að tóbaksauglýsingar voru bannaðar í fjölmiðlum og utandyra á auglýsingaskiltum.36 Árið 1977 var enn víðtækara auglýsingabann sett í lög og fékk ráðherra heimild til að banna reykingar í húsakynnum og farartækjum fyrir almenning.37 Fyrsti reyklausi dagurinn hér á landi var haldinn árið 1979 og síðan árlega, þann 31. maí frá árinu 1987. Árið 1984 voru fyrstu tóbaksvarnarlögin samþykkt og tóku þau gildi 1. janúar 1985.38 Þessi lög bönnuðu reykingar í atvinnuflugi innanlands og algert auglýsingabann var ítrekað. Með þessum lögum varð Ísland fyrst landa í heiminum til að merkja sígarettupakka með myndrænum viðvörunum35 og áttu mörg lönd eftir að fylgja fordæmi okkar (mynd 4-5).

4. Kafli - Reykingar og reykingavarnir 33

Auk þess var sett í lög bann við sölu tóbaks til einstaklinga yngri en 16 ára. Árið 1993 tók gildi bann við reykingum í Evrópuflugi og um borð í skipum, bann við reykingum í kvikmyndahúsum tók gildi 1994 og bann við reykingum í öllu millilandaflugi var lögleitt á Íslandi fyrst landa árið 1995.39 Á þessu tímabili var nánast á hverju ári herferð í skólum og fræðsla til almennings um skaðsemi reykinga. Árið 2001 var Ísland aftur í fararbroddi þegar það var fyrsta land í heimi til að lögleiða bann við sýnileika tóbaks á sölustöðum og algert bann við umfjöllun um tóbak í fjölmiðlum nema til þess að gera grein fyrir skaðsemi þess.40

Í kjölfarið fékk íslenska ríkið lögsókn á sig frá tóbaksfyrir tækjunum og hafði betur.41 Íslendingar héldu ótrauðir áfram í tóbaksvörnum og voru með fyrstu þjóðum heims til að fullgilda rammasamning WHO um tóbaksvarnir (FCTC) árið sem hann tók gildi (2005).42 Kaliforníufylki Bandaríkjanna var þó fyrst allra til að banna reykingar á lokuðum vinnustöðum, börum og veitingastöðum árið 1998 og Írland fyrst Evrópulanda árið 2004. Ísland fylgdi eftir með álíka reglugerð sem tók gildi árið 2007.43 Þetta voru mikilvæg skref, enda reykingar ekki lengur samfélagslega viðurkenndar og glamúrinn horfinn. Þótt þessi reglugerð hafi upphaflega verið sett með hagsmuni starfsfólks

Mynd 4-6

Ísland hefur löngum verið í fararbroddi hvað varðar reykingavarnir og var t.d. fyrst landa í heiminum til að banna reykingar í millilandaflugi.

34 Lungnakrabbameinsbókin

Finland

Denmark

Sweden Belgium

CzechRepublic

Ireland Germany

Portugal Poland Lithuania

Slovenia Romania

Estonia

EU27

Mynd 4-7.

Luxembourg

SlovakRepublic

Malta Greece

Hungary

Croatia FranceBulgaria

Hlutfall fullorðinna (eldri en 15 ára) sem reykja á Íslandi er eitt það lægsta á heimsvísu, og eitthvað sem við getum verið stolt af. Myndin sýnir reykingatíðni karla og kvenna í Evrópu, m.a. á Íslandi. Heimild: Landlæknisembættið.

UnitedKingdom

Switzerland

Ukraine

Italy Spain Cyprus Iceland Moldova

Austria Lativa Norway Turkiye Netherlands

Serbia

4. Kafli - Reykingar og reykingavarnir 35
% 50 samtals konur karlar 40 30 20 10 0

veitingahúsa í huga þá liðu ekki nema 6 mánuðir þar til í ljós kom að nýjum tilfellum kransæðastíflu fækkaði um 18%, bæði á meðal reykingamanna og hinna sem reyktu ekki.44 Allar þessar markvissu aðgerðir hafa skilað þeim árangri, eins og sýnt er á mynd 4-7, að reykingatíðni á Íslandi er sú lægsta meðal landa OECD.45

Haldi þessar aðgerðir áfram má búast við að Íslendingar nái fyrst vestrænna þjóða því marki að hlutfall reykingamanna meðal fullorðinna fari niður fyrir 5% innan tveggja ára, en það er markmið sem margar þjóðir hafa sett sér í stefnumótun í reykingavörnum (mynd 4-8). Engu að síður er brýnt að vera vakandi fyrir tíðni reykinga, því hingað til lands flytur fólk frá löndum þar sem reykingatíðni er há. Eins hefur nikótínfíkn meðal barna og ungmenna aukist með tilkomu nýrra nikótínvara.46 Til mikils er að vinna eins og að ofan er rakið. Þess vegna er mikilvægt að stemma stigu við nikótínfíkn með öllum tiltækum ráðum og varast markaðssetningu varnings sem inniheldur nikótín, sérstaklega gagnvart börnum og unglingum, enda þekkt að nikótínfíkn getur verið brú (e. gateway) yfir í reykingar. Í töflu 4-1 eru sýndar aðgerðir sem sýnt hafa bestan árangur í að stemma stigum við reykingum.

36 Lungnakrabbameinsbókin

Tafla 4-1

Aðgerðir sem staðfestar hafa verið sem árangursrík forvörn í tóbaksvörnum.47

• Stigvaxandi skattlagning á tóbaksvöru

• Fræðsla til almennings um skaðsemi tóbaks

• Bann við reykingum á opinberum stöðum og vinnustöðum

• Markaðs­ og auglýsingabann

• Viðvörunarmerkingar á tóbak

• Sýnileikabann tóbaks á sölustöðum

• Bann við sölu til barna og unglinga undir 18 ára aldri

• Aðgengi að faglegri reykleysismeðferð

4. Kafli - Reykingar og reykingavarnir 37

Mynd 4-8

Hlutfall fullorðinna sem reykja hefur farið hratt lækkandi á sl. ártatugum, og er ekki hægt að þakka rafsígarettum eða munntóbaki. Heimild: Landlæknisembættið.

38 Lungnakrabbameinsbókin
1995 Hlutfall (%) 30 20 10 2000 2005 2010 2015 2020

Áhrif reykinga á heilsu

Í sígarettureyk finnast yfir 7000 efnasambönd og eru þar á meðal um 70 sem stuðla að krabbameini, aðallega með tvennum hætti.48 Annars vegar veikja þau ónæmiskerfið, sem dregur úr getu þess til að halda aftur af krabbameinsvexti, og hins vegar með því að valda stökkbreytingu á erfðaefni sem getur leitt til þess að fruma tekur upp á því að skipta sér stjórnlaust. Algengast er að þessi efni valdi krabbameini í lungum (mynd 4-9), en með sígarettureykingum aukast líkurnar allt að 30­falt.49 Með beinni snertingu auka efnin í sígarettureyk einnig líkur á krabbameini í barka, berkjum, munni, hálsi og barkakýli. Skaðlegu efnin í sígarettureyk dreifast að auki um líkamann og auka þannig líkur á krabbameini í vélinda, maga, brisi, lifur, gallvegum, nýrum, ristli, endaþarmi, þvagblöðru, eggjastokkum, leghálsi og blóði (hvítblæði).15 Jafnframt eru reykingar taldar auka hættu á brjóstakrabbameini og karlar með blöðruhálskirtilskrabbamein eru taldir hafa verri lífslíkur ef þeir reykja.15 Óbeinar reykingar hafa einnig aukna áhættu í för með sér og reyklaust tóbak, s.s. munntóbak, eykur líkur á krabbameini í munni, hálsi, vélinda og brisi.15

Líf án tóbaks dregur ekki aðeins úr líkum á krabbameini, heldur ótal annarra sjúkdóma og heilsufarsvandamála, þar á meðal heilabilun,50, 51 ristruflun,52 og sjónskerðingu, svo dæmi séu tekin (mynd 4-9). Reyklausir eru einnig í mun minni hættu á að fá lungnaþembu sem er algengasta orsök lungnabilunar,53 en ekki síður hjarta­ og æðasjúkdóma sem er algengasta dánarorsök á heimsvísu.

4. Kafli - Reykingar og reykingavarnir 39

KRABBAMEIN

Höfuð

Háls

Lungu

Hvítblæði

Magi

Nýru

Bris

Ristill Þvagblaðra

Legháls

Mynd 4-9

KRÓNÍSKIR SJÚKDÓMAR

Heilablóðfall

Blinda

Munnholssýkingar

Ósæðarflysjun

Kransæðasjúkdómur

Lungnabólga Æðakölkun

Lungnateppa og astmi

Ófrjósemi

Mjaðmabrot

Reykingar auka tíðni ýmissa krabbameina verulega, en eru einnig orsök fjölda krónískra sjúkdóma eins og æðakölkunar og lungnaþembu.

40 Lungnakrabbameinsbókin

Tóbaksreykur eykur alla þætti æðakölkunar svo sem truflun á starfsemi æðaþelsins,54 myndun æðakölkunarskellu, veikingu hennar55 og samloðun blóðflagna,55, 56 sem leiðir síðan til kransæðasjúkdóms og hjartaáfalla.57-59 Reykingar auka sömuleiðis líkurnar á heilablóðfalli, hjartabilun60 og hjartsláttartruflunum bæði í gáttum og sleglum.61 Þannig sýndi INTERHEART rannsóknin62 að um 90% nýrra tilfella kransæðastíflu í heiminum má skýra með nokkrum vel þekktum áhættuþáttum. Þar vega reykingar þyngst og skýra um 36% tilfella. Þar kemur einnig fram að þeir sem reykja ekki en hreyfa sig reglubundið hafa um 80% minni líkur á því að fá kransæðastíflu samanborið við reykjandi kyrrsetufólk. Á Íslandi hefur Hjartavernd fundið að 22% þeirrar lækkunar sem orðið hefur á dánartíðni vegna kransæðastíflu á undanförnum áratugum má skýra með fækkun reykingamanna.63

Athyglisvert er að hlutfall reykingamanna er mun hærra hjá þeim sem hafa eingöngu grunnskólamenntun að baki eða standa höllum fæti félags­ eða fjárhagslega. Síðan er tíðni reykinga margföld meðal fólks með áfengis­ og vímuefnafíkn, en sýnt hefur verið fram á að með því að draga úr nikótínfíkn aukast batalíkur hjá fólki með fíknsjúkdóm.64

Þrátt fyrir vitneskju um þá hættu sem stafar af reykingum þá heldur fólk áfram að reykja. Um þrír af hverjum fjórum segjast vilja hætta en geta það ekki.65 Stór þáttur reykbindindis felst því í því að skoða eigin hegðun í kringum tóbaksnotkun því yfirleitt ánetjast menn upphaflega nikótíni til að falla inn í hópinn en ekki til að bæta lífsgæði sín. Eins hefur verið sýnt að fólk sem býr við verri lífsgæði eða hefur verið greint með geðsjúkdóm er líklegra til að hefja reykingar.66

4. Kafli - Reykingar og reykingavarnir 41
42 Lungnakrabbameinsbókin
Mynd 4-10 Öflug reykleysismeðferð er lykilatriði í baráttunni við reykingar. Myndir: Þorkell Þorkelsson.

Reykleysismeðferð

Framan af voru reykingar taldar lærð hegðun en fyrir um hálfri öld kom í ljós að í sígarettum er að finna nikótín, eitt sterkasta ávanabindandi fíkniefni sem til er.65 Sýnt hefur verið fram á að táningur þurfi einungis að reykja í tvígang til að vera í 70% hættu á að reykja næstu fjörutíu árin, nái hann að lifa svo lengi.65 Í dag vitum við að nikótín veldur ekki aðeins líkamlegri ávanabindingu, heldur einnig sálfélagslegri.67 Árangur reykleysismeðferðar (mynd 4-10) er því bestur þegar viðkomandi sækir sálfélagslegan stuðning með áhugahvetjandi samtalstækni, samhliða lyfjameðferð við líkamlegum fráhvörfum nikótínfíknar.68, 69

Það er að sjálfsögðu ávallt undir þeim sem reykir komið hvort viðkomandi vilji taka upp reyklausan lífsstíl. Sé löngunin til að hætta til staðar er mikilvægt að gefa sér tíma fyrir undirbúning til að árangur sé sem bestur. Það getur þurft nokkrar tilraunir en hver tilraun til að hætta er leið að betra lífi. Líkt og í öðrum fíknisjúkdómum er stærsta áskorunin að vinna gegn bakslagi í neyslu nikótíns. Því þarf að takast á við umhverfi og félagslegar aðstæður sem kveikja á löngun. Þá gildir að forðast aðstæður og umhverfi sem viðkomandi tengir reykingar við, t.d. þegar horft er á sjónvarp, eftir kvöldmat eða þegar áfengi er haft um hönd.

Bestur árangur af reykleysismeðferð næst þegar saman fara samtalsmeðferð og lyfjameðferð, líkt og fyrr segir. Sýnt hefur verið fram á að eftir 6 mánaða reykleysismeðferð sem fólst eingöngu í stuttri ráðgjöf, náðu 8,6% reykingafólks að hætta samanborið við 15,2% hjá þeim sem fengu samtalsmeðferð og lyfjameðferð.70 Í annarri rannsókn náðu 21,8% að hætta innan 6 mánaða með varenicline, 16,2% með bupropion, 15,7% með nikótínplástrum samanborið við 9,4% með lyfleysu.71 Notkun fleiri en eins lyfjaflokks samtímis virðist gefa betri árangur en hvert lyf fyrir sig. Klínískar leiðbeiningar mæla með notkun varenicline eða samsettrar nikótínlyfjameðferðar sem fyrsta val við reykleysismeðferð ásamt samtalsmeðferð.72, 73

4. Kafli - Reykingar og reykingavarnir 43

Eftirfarandi lyf eru talin örugg og áhrifarík til reykleysismeðferðar74 (sjá einnig töflu 4-2).

A Lyf sem innihalda nikótín (plástrar, púst, nefúði, tyggjó) minnka fráhvarfseinkenni til langs tíma (plástrar) og eru hraðverkandi (púst, úði). Árangur nikótínlyfja er 17% samanborið við 10% af lyfleysu.75

B Varenicline (Champix® og Chantix®) virkar sem hlutörvi (e. partial agonist) í miðtaugakerfinu. Lyfið örvar nikótín­viðtaka í heila og leiðir til losunar dópamíns sem dregur úr fráhvarfseinkennum, en kemur einnig að hluta til í veg fyrir bindingu nikótíns á viðtakann og dregur með því úr vellíðan sem fylgir gjarnan reykingum. Með lyfinu ná 11-26% að hætta reykingum innan 6 mánaða.76

C Bupropion (Zyban® og Wellbutrin®) er bæði notað sem þunglyndis­ og reykleysismeðferð. Lyfið hindrar endurupptöku dópamíns í taugaendum og dregur þannig úr fráhvarfseinkennum. Með lyfinu hefur verið sýnt fram á 19% árangur að hætta að reykja innan 6 mánaða samanborið við 11% af lyfleysumeðferð.77

Þó að leiða megi líkum að því að rafsígarettur séu hættuminni en sígarettureykur78 þá skortir vel gerðar slembiraðaðar rannsóknir um gagnsemi og skaðleysi rafsígaretta til að hægt sé að mæla með notkun þeirra.72, 73, 79 Því er ekki mælt með rafsígarettum sem reykleysismeðferð. Vandinn er líka sá að nánast allir sem nota rafsígarettur halda áfram að reykja tóbak og kemur rafsígarettan því sem hrein viðbót við sígarettur.78, 80, 81

44 Lungnakrabbameinsbókin

Lyfjameðferð (tafla 4-2) eykur líkur á reykleysi um 50-70%, aðallega með því að draga úr fráhvörfum.82 Sumum hentar að nota nikótínlyf en öðrum uppáskrifuð lyf eins og bupropion eða varenicline. Enda þótt ekki hafi verið sýnt fram á tengsl við lungnakrabbamein þá er ekki ráðlagt að nota nikótínpúða til að hætta að reykja, enda geta þau aukið nikótínfíkn og líkur á því að reykingar séu teknar upp að nýju.83 Fyrst þegar dregið er úr eða hætt reykingum má búast við fráhvörfum, sem eru einstaklingsbundin og geta einkennst af vanlíðan, t.d. kvíða, depurð, reiði, gremju og pirringi. Önnur algeng einkenni eru svefntruflanir, einbeitingarleysi og svengd. Þessi einkenni ná venjulega hámarki á fyrstu þremur dögunum eftir að hætt er að reykja en fara síðan minnkandi.84

Á Heilsuveru https://www.heilsuvera.is/efnisflokkar/tobak/viltu­haetta/ er hægt að fá reykleysis­ráðgjöf á netspjalli og þar er að finna góðar ráðleggingar sem auka líkur á að komast í gegnum fasann að hætta. Á vefsíðu embættis landlæknis má einnig finna góð ráð https:// island.is/tobaksvarnir/leidbeiningar­og­skyrslur.

Hér að neðan eru nokkur ráð sem reynst hafa gagnleg, sérstaklega ef notuð eru nikótínlyf samhliða. Fyrstu þrír mánuðirnir eru venjulega erfiðastir, en það tekur allt upp í ár að venja sig af reykingum.

4. Kafli - Reykingar og reykingavarnir 45

Tafla 4-2

Ráðlögð lyfjameðferð í reykbindindi. Mælt er með að nota lyfin í 3 mánuði, og eftir það trappa þau niður í allt að 6-12 mánuði. Almennt gildir að það má hækka styrkleika ef fráhvarfseinkenni koma fram eða löngun til að reykja er viðvarandi.

NIKÓTÍNLYF

LYF Plástur Tyggjó Tungurótar- tafla Munnsogs- tafla

LYFHRIF Nikótínplástur gefur samfelldan nikótínskammt. Nýr plástur er settur á hárlausa og heila húð að morgni. Valið er nýtt húðsvæði til að forðast ertingu.

Nikótíntyggjó dregur strax úr tóbakslöngun. Að tyggja hægt og hvíla á milli með tuggu í kinninni virkar best. Annars fer nikótínið beint niður í maga og virkar ekki á fráhvarfseinkenni, heldur getur gefið ertingu í hálsi, brjóstsviða og magaóþægindi.

Tungurótartafla sett undir tungu þaðan sem nikótínið frásogast á um þremur mínútum.

Munnsogstafla virkar best ef hún er notuð líkt og brjóstsykur sem soginn er hægt þar til sterkt bragð kemur fram. Þá er hún geymd í kinninni. Þegar sterka bragðið dofnar er taflan sogin á ný.

RÁÐLAGÐUR

SKAMMTUR

Kemur í þremur styrkleikum, 7, 14 og 21 mg/ dag. Ef ≤20 sígarettur/ dag, 14 mg/dag í 3-4 vikur, síðan 7 mg/dag í 3-4 vikur.

Ef >20 sígarettur/dag, 21 mg/dag í 3-4 vikur, síðan 14 mg/dag í 3-4 vikur og að lokum 7 mg/dag í 3-4 vikur.

2-4 mg. í senn eftir þörfum, allt að 24 sinnum á dag. Forðast skal neyslu á súrum drykkjum 15 mín. fyrir notkun.

Ef ≤20 sígarettur/dag, 1 tafla/klst, 8-12 töflur/ dag. Ef dugar ekki eða >20 sígarettur/dag. 2 töflur/klst, 16-24 töflur/ dag. Notað í 3 mánuði, síðan draga smám saman úr og þegar komin/n í 1-2 töflur/dag þá hætta alveg, venjulega eftir 6 mán.

1-2 mg. í senn eftir þörfum, oft á 1-2 klst. fresti. Flestum dugar 8-12 töflur/dag, mest 30 mg á dag eða á klst. fresti. Má taka einar sér eða samhliða forðaplástrum.

46 Lungnakrabbameinsbókin

Nefúði Munnholsúði

Nefúði er sterkasta gerð nikótínlyfja á markaðnum.

Það hentar vel þeim sem finna fyrir miklum fráhvarfseinkennum eða reykja mikið.

1-2 úðar, 0,2 mg/úði í hvora nös/klst, eða eftir þörfum. Má auka í 5 úða í nös/klst, mest 80 úðar eða 40 skammtar á sólarhring og mest í 3 mánuði.

Munnholsúði 1 mg/sk er soginn á svipaðan hátt og sígaretta. Nikótín frásogast hratt um slímhúð í munni á svipaðan hátt og nikótíntyggjó, en berst ekki til lungna.

LYF ÁN NIKÓTÍNS

Bupropion (Wellbutrin®, Zyban®)

Bupropion dregur úr fráhvarfseinkennum og löngun til að reykja.

1-2 úðar eftir þörfum, mest 4 úðar á klst. og 64 úðar á sólarhring.

Lyfið er tekið í 7-9 vikur í samráði við lækni.

Dagur 1-6, 150 mg x1/dag um munn kl. 9.

Dagur 7 aukið í 150 mg x2/ dag með 8 klst millibili en ekki rétt fyrir háttatíma. Reykingum er hætt í viku 2.

Vareniclinum® (Champix®)

Vareniclinum verkar annars vegar til að draga úr fráhvarfseinkennum og hins vegar löngun til að reykja.

Lyfið er tekið í 12 vikur í samráði við lækni.

Dagur 1-3, 0,5 mg x1/dag. Dagur 4-7, 0,5 mg x2/dag. Dagur 8 til loka meðferðar 1 mg x2/dag. Reykingum er hætt í viku 2.

4. Kafli - Reykingar og reykingavarnir 47

Áður en hætt er að reykja

• Ákveddu dag sem þú ætlar að hætta að reykja og gerðu jafnvel samning við sjálf(a)(an)(t) þig.

• Íhugaðu hvers vegna þú vilt hætta. Að vega og meta kosti og galla þess að reykja hjálpar til við að taka ákvörðun, t.d. fá meira úthald, vera til staðar fyrir fjölskylduna, spara pening.

• Skráðu niður tóbaksnotkun þína: Hvar, hvenær og hvers vegna þú reykir. Eins hvernig reykurinn bragðast. Hefðir þú getað sleppt því að reykja?

• Dragðu úr nikótínmagninu eins vel og þú getur, sem hjálpar þér að aðlagast reykleysinu og komast yfir fráhvarfseinkenni.

• Breyttu reykingavenjum og prófaðu að reykja á öðrum tímum og stöðum en vanalega. Reyktu einungis þegar þú ert ekki með hugann við annað, eins og að drekka kaffi eða lesa blöðin.

• Útbúðu áætlun um hvernig þú ætlar að bregðast við þegar tóbaksþörfin kallar. Mundu að hún gengur vanalega yfir á nokkrum mínútum. Hægt er að komast yfir þörfina með ýmsu móti, t.d. að borða sítrusávöxt eða piparmyntu, gera öndunaræfingar eða drekka vatn með sítrónu. Að hreyfa sig með því að fara í stutta göngu eða skokka hjálpar mörgum.

48 Lungnakrabbameinsbókin

Eftir að hætt er að reykja

• Stappaðu í þig stálinu og segðu við þig: Ég get þetta og hugsaðu um frelsið frá fíkninni.

• Leitaðu stuðnings hjá vinum og fjölskyldu. Jafnvel hjá einhverjum sem hefur gengið í gegnum það sama.

• Tveimur til fjórum vikum eftir að þú hættir reykingum ertu ekki lengur háður nikótíni. Verstu einkennin eru venjulega til staðar fyrstu 2-3 dagana en hverfa á 2-4 vikum. Hafðu nikótínlyf við höndina (t.d. plástur, tyggjó, töflur, úða) og fáðu ráðgjöf hjá fagaðila.

• Farðu yfir af hverju þú vilt hætta og rifjaðu upp samninginn sem þú gerðir við sjálf(a)(an)(t) þig. Sjáðu sjálf(a)(an)(t) þig fyrir þér án tóbaks og taktu eftir jákvæðu breytingunum sem verða, t.d. aukið þol.

• Vertu vel undirbúi(n)(nn)(ð) ef þú lendir í aðstæðum þar sem nikótínþörfin kallar á þig, t.d. í góðra vina hópi.

• Taktu einn dag í einu og vertu óspar á hrósið. Verðlaunaðu þig til að viðhalda hvatanum og notaðu peningana sem þú sparar í eitthvað sem þig langar virkilega í.

• Auk ávanabindingar nikótíns eru reykingar að stórum hluta lærð hegðun. Lykill að reykbindindi er því að læra að reykja ekki. Til lengri tíma þarf að huga að fíkn og bakslagi. Það tekur tíma og þolinmæði, því eins og Mark Twain orðaði það: „Leyndarmálið við að ná árangri er að byrja.“ (“The secret of getting ahead is getting started.” -Mark Twain).

4. Kafli - Reykingar og reykingavarnir 49

Heimildir

1. WHO. 2022. Tobacco. https://www.who.int/news-room/fact-sheets/detail/tobacco

2. Jha P, Ramasundarahettige C, Landsman V, Rostron B, Thun M, Anderson RN, et al. 21st-century hazards of smoking and benefits of cessation in the United States. N Engl J Med. 2013;368(4):341-350.

3. Doll R, Peto R, Boreham J, Sutherland I. Mortality in relation to smoking: 50 years’ observations on male British doctors. BMJ. 2004;328(7455):1519.

4. WHO global report on trends in prevalence of tobacco use 2000-2025, fourth edition. https://www.who.int/publications/i/item/9789240039322. Updated 2021.

5. WHO. 2022. Lung cancer. https://www.who.int/news-room/fact-sheets/detail/lung-cancer

6. Goodman J. Tobacco in History: The Cultures of Dependence: Routledge; 2005.

7. HISTORY OF TOBACCO. https://www.afro.who.int/sites/default/files/2017-09/Chapter%20 32.%20The%20history%20of%20tobacco.pdf

8. Mishra S, Mishra MB. Tobacco: Its historical, cultural, oral, and periodontal health association. J Int Soc Prev Community Dent. 2013;3(1):12-18.

9. James Mulholland, “James Albert Bonsack (1859ndash;1924),” Dictionary of Virginia Biography, Library of Virginia (1998– ), published 2001, rev. 2022 (http://www.lva.virginia. gov/public/dvb/bio.asp?b=Bonsack_James_Albert).

10. Thun MJ. Early landmark studies of smoking and lung cancer. Lancet Oncol. 2010;11(12):1200.

11. Smoking - The antismoking movement. https://www.britannica.com/topic/smoking-tobacco/ The-antismoking-movement

12. Little B. When Cigarette Companies Used Doctors to Push Smoking. https://www.history. com/news/cigarette-ads-doctors-smoking-endorsement. Published 2018.

13. Smoking - The age of the cigarette. https://www.britannica.com/topic/smoking-tobacco/ The-age-of-the-cigarette

14. Doll R, Hill AB. Smoking and carcinoma of the lung; preliminary report. Br Med J. 1950;2(4682):739-748.

15. Tobacco smoke and involuntary smoking. IARC Monogr Eval Carcinog Risks Hum. 2004;83:11438.

16. Hong, Yuling. “Framingham Heart Study (FHS) | National Heart, Lung, and Blood Institute (NHLBI).” Nih.gov, 2018, www.nhlbi.nih.gov/science/framingham-heart-study-fhs.

17. Roy A, Rawal I, Jabbour S, Prabhakaran D. Tobacco and Cardiovascular Disease: A Summary of Evidence. In: Prabhakaran D, Anand S, Gaziano TA, Mbanya JC, Wu Y, Nugent R, editors. Cardiovascular, Respiratory, and Related Disorders. 3rd ed. Washington (DC)2017.

18. Smoking Cessation A Report of the Surgeon General. https://www.hhs.gov/sites/default/ files/2020-cessation-sgr-full-report.pdf

19. Cao P, Jeon J, Tam J, Fleischer NL, Levy DT, Holford TR, et al. Smoking Disparities by Level of Educational Attainment and Birth Cohort in the U.S. Am J Prev Med. 2023;64(4 Suppl 1):S22-S31.

20. The Health Consequences of Involuntary Exposure to Tobacco Smoke: A Report of the Surgeon General. Atlanta (GA)2006.

21. The Master Settlement Agreement and Attorneys General. National Association of Attorneys General, www.naag.org/our-work/naag-center-for-tobacco-and-public-health/the-master-settlement-agreement/#:~:text=In%201998%2C%2052%20state%20and.

22. Master Settlement Agreement. State of California - Department of Justice - Office of the Attorney General, 2011, oag.ca.gov/tobacco/msa.

50 Lungnakrabbameinsbókin

23. Gottlieb S. US government to sue tobacco companies. BMJ. 1999;319(7214):869.

24. WHO Framework Convention on Tobacco Control Overview. https://fctc.who.int/who-fctc/ overview

25. Zhou S, Ricafort E, Bressler D, Devotsu RK. Litigation in tobacco control: past, present and future. Tob Control. 2022;31(2):291-295.

26. Nicotine Pouches, Tobacco Tactics, 2023. https://tobaccotactics.org/article/nicotinepouches/

27. Our Smoke-Free Products. https://www.pmi.com/smoke-free-products. Published 2019.

28. NIDA. 2018. Recent Research Sheds New Light on Why Nicotine is So Addictive. https:// archives.nida.nih.gov/news-events/noras-blog/2018/09/recent-research-sheds-new-lightwhy-nicotine-so-addictive

29. Big Tobacco Pushes Nicotine Pouches as Vaping Hit by Curbs. https://www.bloomberg.com/ news/articles/2023-04-15/big-tobacco-pushes-nicotine-pouches-as-vaping-hit-by-curbs Published 2023.

30. Berry KM, Fetterman JL, Benjamin EJ, Bhatnagar A, Barrington-Trimis JL, Leventhal AM, et al. Association of Electronic Cigarette Use With Subsequent Initiation of Tobacco Cigarettes in US Youths. JAMA Netw Open. 2019;2(2):e187794.

31. OECD Health Statistics 2023. https://www.oecd.org/health/health-data.htm

32. Embætti landlæknis. Áfengis- og tóbaksnotkun 2022 Vöktun áhrifaþátta. TalnabrunnurFréttabréf landlæknis um heilbrigðisupplýsingar. 2023.

33. Hutt R. These 10 Countries Are Closest to Achieving Gender Equality. https://www.weforum. org/agenda/2019/12/gender-gap-equality-women-parity-countries/. Published 2019.

34. Lög um verslun með áfengi og tóbak, nr. 63/1969. https://www.althingi.is/lagas/ nuna/1969063.html

35. Hiilamo H, Crosbie E, Glantz SA. The evolution of health warning labels on cigarette packs: the role of precedents, and tobacco industry strategies to block diffusion. Tob Control. 2014;23(1):e2.

36. Verslun ríkisins með áfengi, tóbak og lyf, Lög nr. 59/1971. https://www.althingi.is/thingstorf/ thingmalalistar-eftir-thingum/ferill/91/109.)./?ltg=91&mnr=109.).

37. Ráðstafanir til að draga úr tóbaksreykingum, Lög nr. 27/1977. http://www.althingi.is/ thingstorf/thingmalalistar-eftirthingum/ferill/?ltg=98&mnr=233

38. Lög um tóbaksvarnir, Lög nr. 6/2002. https://www.althingi.is/lagas/nuna/2002006.html

39. Lög um tóbaksvarnir, Lög nr. 101/1996. https://www.althingi.is/thingstorf/thingmalalistareftir-thingum/ferill/120/313/?ltg=120&mnr=313.

40. Lög um tóbaksvarnir, Lög nr. 95/2001. https://www.althingi.is/thingstorf/thingmalalistareftir-thingum/ferill/126/345/?ltg=126&mnr=345

41. Dómur Hæstaréttar 220/2005 6. Apríl 2006. https://www.haestirettur.is/default. aspx?pageid=347c3bb1-8926-11e5-80c6-005056bc6a40&id=465b19e4-8b46-4063-95326c4b44782903

42. Geneva: Framework Convention Alliance; 2015. https://fctc.org/parties-ratifications-andaccessions-latest/

43. Reglugerð um takmarkanir á tóbaksreykingum, nr. 326/2007. https://island.is/reglugerdir/ nr/0326-2007

44. Viktorsson ÞV, Andersen K, Guðnason Þ. Reykingabann á opinberum stöðum minnkar tíðni óstöðugs kransæðasjúkdóms og fækkar kransæðaþræðingum hjá körlum á Íslandi. XVIII Þing félags íslenskra lyflækna, Selfossi 6.-8. júní 2008. Læknablaðið 2008; 94: 18 (E-9): Fylgirit 57.

4. Kafli - Reykingar og reykingavarnir 51

45. Health risks - Daily smokers - OECD Data. https://data.oecd.org/healthrisk/daily-smokers. htm#indicator-chart

46. Sun R, Mendez D, Warner KE. Trends in Nicotine Product Use Among US Adolescents, 19992020. JAMA Netw Open. 2021;4(8):e2118788.

47. Allison Gilbert JC. Which are the most effective and cost-effective interventions for tobacco control?

https://apps.who.int/iris/handle/10665/363754. Published 2003.

48. CDC - 2010 Surgeon General’s Report - Chemicals in Tobacco Smoke - Smoking & Tobacco Use. https://www.cdc.gov/tobacco/sgr/2010/consumer_booklet/chemicals_smoke/index. htm?CDC_AA_refVal=https%3A%2F%2Fwww.cdc.gov%2Ftobacco%2Fdata_statistics%2Fsgr%2F2010%2Fconsumer_booklet%2Fchemicals_smoke%2Findex.htm. Published 2022.

49. CDC. What Are the Risk Factors for Lung Cancer? https://www.cdc.gov/cancer/lung/basic_ info/risk_factors.htm#:~:text=People%20who%20smoke%20cigarettes%20are. Published 2020.

50. Choi D, Choi S, Park SM. Effect of smoking cessation on the risk of dementia: a longitudinal study. Ann Clin Transl Neurol. 2018;5(10):1192-1199.

51. WHO. Tobacco knowledge summaries: tobacco use and dementia. https://www.who.int/ publications/i/item/WHO-NMH-PND-CIC-TKS-14.1

52. Pourmand G, Alidaee MR, Rasuli S, Maleki A, Mehrsai A. Do cigarette smokers with erectile dysfunction benefit from stopping?: a prospective study. BJU Int. 2004;94(9):1310-1313.

53. Plus M. Emphysema. https://medlineplus.gov/emphysema.html. Published 2017.

54. Barua RS, Ambrose JA, Eales-Reynolds LJ, DeVoe MC, Zervas JG, Saha DC. Dysfunctional endothelial nitric oxide biosynthesis in healthy smokers with impaired endotheliumdependent vasodilatation. Circulation. 2001;104(16):1905-1910.

55. Barua RS, Sharma M, Dileepan KN. Cigarette Smoke Amplifies Inflammatory Response and Atherosclerosis Progression Through Activation of the H1R-TLR2/4-COX2 Axis. Front Immunol. 2015;6:572.

56. Barua RS, Sy F, Srikanth S, Huang G, Javed U, Buhari C, et al. Effects of cigarette smoke exposure on clot dynamics and fibrin structure: an ex vivo investigation. Arterioscler Thromb Vasc Biol. 2010;30(1):75-79.

57. Ambrose JA, Barua RS. The pathophysiology of cigarette smoking and cardiovascular disease: an update. J Am Coll Cardiol. 2004;43(10):1731-1737.

58. Barua RS, Ambrose JA. Mechanisms of coronary thrombosis in cigarette smoke exposure. Arterioscler Thromb Vasc Biol. 2013;33(7):1460-1467.

59. Morris PB, Ference BA, Jahangir E, Feldman DN, Ryan JJ, Bahrami H, et al. Cardiovascular Effects of Exposure to Cigarette Smoke and Electronic Cigarettes: Clinical Perspectives From the Prevention of Cardiovascular Disease Section Leadership Council and Early Career Councils of the American College of Cardiology. J Am Coll Cardiol. 2015;66(12):1378-1391.

60. Gopal DM, Kalogeropoulos AP, Georgiopoulou VV, Smith AL, Bauer DC, Newman AB, et al. Cigarette smoking exposure and heart failure risk in older adults: the Health, Aging, and Body Composition Study. Am Heart J. 2012;164(2):236-242.

61. Goldenberg I, Moss AJ, McNitt S, Zareba W, Daubert JP, Hall WJ, et al. Cigarette smoking and the risk of supraventricular and ventricular tachyarrhythmias in high-risk cardiac patients with implantable cardioverter defibrillators. J Cardiovasc Electrophysiol. 2006;17(9):931-936.

62. Yusuf S, Hawken S, Ounpuu S, Dans T, Avezum A, Lanas F, et al. Effect of potentially modifiable risk factors associated with myocardial infarction in 52 countries (the INTERHEART study): case-control study. Lancet. 2004;364(9438):937-952.

63. Aspelund T, Gudnason V, Magnusdottir BT, Andersen K, Sigurdsson G, Thorsson B, et al. Analysing the large decline in coronary heart disease mortality in the Icelandic population aged 25-74 between the years 1981 and 2006. PLoS One. 2010;5(11):e13957.

64. Integrating Tobacco Use Disorder Interventions in Addiction Treatment. www.asam.org/ quality-care/clinical-recommendations/tobacco

52 Lungnakrabbameinsbókin

65. Russell MA. Cigarette dependence. I. Nature and classification. Br Med J. 1971;2(5757):330331.

66. Goldenberg M, Danovitch I, IsHak WW. Quality of life and smoking. Am J Addict. 2014;23(6):540-562.

67. NIDA. 2021. Is nicotine addictive?. https://nida.nih.gov/publications/research-reports/ tobacco-nicotine-e-cigarettes/nicotine-addictive

68. NIDA. 2021. What are treatments for tobacco dependence?. https://nida.nih.gov/ publications/research-reports/tobacco-nicotine-e-cigarettes/what-are-treatmentstobacco-dependence

69. NIDA. 2021. Principles of Drug Addiction Treatment: A Research-Based Guide (Third Edition). https://nida.nih.gov/sites/default/files/675-principles-of-drug-addictiontreatment-a-research-based-guide-third-edition.pdf

70. Rigotti NA, Kruse GR, Livingstone-Banks J, Hartmann-Boyce J. Treatment of Tobacco Smoking: A Review. JAMA. 2022;327(6):566-577.

71. Anthenelli RM, Benowitz NL, West R, St Aubin L, McRae T, Lawrence D, et al. Neuropsychiatric safety and efficacy of varenicline, bupropion, and nicotine patch in smokers with and without psychiatric disorders (EAGLES): a double-blind, randomised, placebo-controlled clinical trial. Lancet. 2016;387(10037):2507-2520.

72. Barua RS, Rigotti NA, Benowitz NL, Cummings KM, Jazayeri MA, Morris PB, et al. 2018 ACC Expert Consensus Decision Pathway on Tobacco Cessation Treatment: A Report of the American College of Cardiology Task Force on Clinical Expert Consensus Documents. J Am Coll Cardiol. 2018;72(25):3332-3365.

73. Leone FT, Zhang Y, Evers-Casey S, Evins AE, Eakin MN, Fathi J, et al. Initiating Pharmacologic Treatment in Tobacco-Dependent Adults. An Official American Thoracic Society Clinical Practice Guideline. Am J Respir Crit Care Med. 2020;202(2):e5-e31.

74. Patnode CD, Henderson JT, Coppola EL, Melnikow J, Durbin S, Thomas RG. Interventions for Tobacco Cessation in Adults, Including Pregnant Persons: Updated Evidence Report and Systematic Review for the US Preventive Services Task Force. JAMA. 2021;325(3):280-298.

75. Hartmann-Boyce J, Chepkin SC, Ye W, Bullen C, Lancaster T. Nicotine replacement therapy versus control for smoking cessation. Cochrane Database Syst Rev. 2018;5(5):CD000146.

76. Cahill K, Lindson-Hawley N, Thomas KH, Fanshawe TR, Lancaster T. Nicotine receptor partial agonists for smoking cessation. Cochrane Database Syst Rev. 2016;2016(5):CD006103.

77. Howes S, Hartmann-Boyce J, Livingstone-Banks J, Hong B, Lindson N. Antidepressants for smoking cessation. Cochrane Database Syst Rev. 2020;4(4):CD000031.

78. In: Eaton DL, Kwan LY, Stratton K, editors. Public Health Consequences of E-Cigarettes. Washington (DC)2018.

79. Smoking Cessation: A Report of the Surgeon General. Washington (DC)2020.

80. Fiore MC, Schroeder SA, Baker TB. Smoke, the chief killer--strategies for targeting combustible tobacco use. N Engl J Med. 2014;370(4):297-299.

81. Bao W, Xu G, Lu J, Snetselaar LG, Wallace RB. Changes in Electronic Cigarette Use Among Adults in the United States, 2014-2016. JAMA. 2018;319(19):2039-2041.

82. Stead LF, Perera R, Bullen C, Mant D, Hartmann-Boyce J, Cahill K, et al. Nicotine replacement therapy for smoking cessation. Cochrane Database Syst Rev. 2012;11:CD000146.

83. Barufaldi LA, Guerra RL, de Albuquerque RCR, Nascimento A, Chanca RD, de Souza MC, et al. Risk of smoking relapse with the use of electronic cigarettes: A systematic review with meta-analysis of longitudinal studies. Tob Prev Cessat. 2021;29:29.

84. Hughes JR. Effects of abstinence from tobacco: valid symptoms and time course. Nicotine Tob Res. 2007;9(3):315-327.

4. Kafli - Reykingar og reykingavarnir 53

5. Kafli

Einkenni og teikn

Sigríður Ólína Haraldsdóttir og Tómas Guðbjartsson

Einkenni lungnakrabbameina eru margvísleg, en algengust eru einkenni frá brjóstholi. Lungnakrabbamein getur þó einnig greinst fyrir tilviljun við myndatöku vegna annarra sjúkdóma, t.d. hjarta­ og æðasjúkdóma eða eftir áverka.1, 2 Algengustu einkenni lungnakrabbameins eru sýnd í töflu 5-1. Þau má rekja til frumæxlis í lunganu (verkir, blóðhósti), dreifingar innan brjósthols (fleiðruvökvi, eitlastækkanir) og ekki síst fjarmeinvarpa (höfuð­ og beinverkir). Loks eru svokölluð hjáeinkenni (paraneoplastic syndromes) ekki óalgeng, sérstaklega hjá sjúklingum með útbreiddan sjúkdóm og eru slappleiki, þyngdartap og þreyta algengust þeirra. Flestir sjúklinganna hafa fleiri en eitt einkenni samtímis, oft bæði frá öndunarvegum og almenn einkenni.

Einkenni sem tengjast staðsetningu æxlis í brjóstholi Hósti er algengasta einkenni lungnakrabbameins og kemur fyrir hjá um helmingi sjúklinga.3,4 Þar á eftir fylgja brjóstverkur, mæði og blóðhósti, sem þó er oftast vægur.5 Allt að helmingur sjúklinga kvartar um brjóstverk sem stundum er takverkur sem versnar við innöndun,2 en getur líka verið þyngslaverkur þeim megin sem æxlið situr. Mæði er algengt einkenni lungnakrabbameins og kemur fyrir hjá allt að 45% sjúklinga.6 Önghljóð heyrast í útöndun þegar æxli þrengja að meginberkjum og soghljóð (stridor) getur heyrst við innöndun við sömu aðstæður. Hæsi stafar hins vegar yfirleitt af æxlisvexti miðlægt í vinstra lunga, en þeim megin  er taug (recurrent laryngeal nerve) sem teygir sig áleiðis að lungnaporti (hilus), og ef æxlið þrengir að henni kemur fram hæsi. Holæðarheilkenni (superior vena

54 Lungnakrabbameinsbókin

Tafla 5-1

Helstu einkenni lungnakrabbameins.

Einkenni

• Hósti

• Brjóstverkur

• Blóðhósti

• Andnauð

• Öng­ og soghljóð

• Hæsi

• Þyngdartap

• Lystarleysi

• Slappleiki

• Þreyta

• Holæðarheilkenni (superior vena cava syndrome)

• Pancoast heilkenni

cava syndrome) sést við æxli sem þrýsta á efri holæð og kemur það fram sem þrýstingstilfinning í höfði og andnauð. Holæðarheilkenni sést oftast hjá sjúklingum með smáfrumukrabbamein.2 Pancoast heilkenni kemur fram þegar lungnakrabbamein er staðsett í efsta hluta lungans og vex með ífarandi hætti í rif og nálægar taugar. Þeim fylgja taugaverkir í öxl eða baki sem stundum leiðir út í handlegg. Horners heilkenni getur fylgt Pancoastæxlum og stafar af ífarandi vexti í taugahnoð (stellate ganglion). Sést þá sigið augnlok, þröngt sjáaldur (miosis) og minnkuð svitamyndun sömu megin í andliti (mynd 5-1).7, 8

5. Kafli - Einkenni og teikn 55

Mynd 5-1

Horners heilkenni. Sjá nánari lýsingu í texta.

Einkenni sem tengjast meinvörpum utan brjósthols

Lungnakrabbamein dreifir sér oftast með meinvörpum til líffæra eins og lifrar, nýrnahettna, beina og heila. Þriðjungur sjúklinga með lungnakrabbamein greinast vegna einkenni fjarmeinvarpa,2, 3 og er hlutfallið enn hærra ef um smáfrumukrabbamein er að ræða. Eitlastækkanir á hálsi sjást hjá 15-30% sjúklinga við greiningu og verkir í beinum vegna beinmeinvarpa hjá allt að fimmtungi sjúklinga.3 Meinvörp í nýrnahettum eru til staðar hjá um 40% sjúklinga við greiningu, en þau gefa sjaldan einkenni,9 og meinvörp í heila greinast hjá 10% sjúklinga.3 Einkenni meinvarpa í heila fara eftir staðsetningu þeirra, en þau geta valdið höfuðverk, uppköstum, sjónsviðsskerðingu, lömunum, flogum og jafnvel persónuleikabreytingum. Lifrarmeinvörp valda sjaldan einkennum, en geta valdið verkjum, gulu og jafnvel lifrarbilun.

56 Lungnakrabbameinsbókin
5. Kafli - Einkenni og teikn 57
Mynd 5-2 Kylfufingur (clubbing) eru eitt af fjölmörgum hjáeinkennum lungnakrabbameins.

Almenn einkenni

Þessi ósértæku einkenni eru algeng og má helst nefna þyngdartap, lystarleysi, slappleika og þreytu. Blóðleysi sem veldur þreytu og mæði sést oft í lungnakrabbameini, en síðan getur aukin blóðsegahneigð stuðlað að blóðtappamyndun, t.d. í fótlegg.

Hjákenni lungnakrabbameins

Þetta er safnheiti yfir ýmis heilkenni sem rekja má til krabbameinsins en tengjast hvorki staðsetningu þeirra né meinvörpum. Hjákenni koma fyrir hjá allt að fimmtungi lungnakrabbameinssjúklinga.3 Oftast eru þau fylgifiskur útbreidds sjúkdóms en geta verið fyrsta einkenni lungnakrabbameins. Algengust eru ýmis hormónatengd einkenni, eins og hækkun á kalsíum í blóði sem oftast tengjast flöguþekjukrabbameinum, en geta líka verið vegna beinmeinvarpa. Einkenni hækkaðs kalsíums í blóði eru lystarleysi, ógleði, uppköst, hægðatregða, slappleiki, þorstlæti, tíð þvaglát og þurrkur. Offramleiðsla þvagstemmuvaka (syndrome of inappropriate ADH, SIADH) er einnig þekkt hjáeinkenni sem veldur lækkun á saltinu natríum í blóði. Getur það birst sem lystarleysi, ógleði, uppköst, en ef blóðnatríumlækkun er svæsin og gerist hratt geta komið fram einkenni frá heila vegna bjúgs í honum. Cushings heilkenni verður við offramleiðslu á kortisóli og veldur það einkennum á við vöðvaslappleika, þyngdaraukningu, háum blóðþrýstingi, óeðlilega miklum hárvexti og beinþynningu, en þetta heilkenni fylgir þó sjaldan lungnakrabbameini. Sjaldgæfari hjáeinkenni er beinliðakvilli (hypertrophic osteoartropathy, HOA) sem er óeðlileg þykknun á húð og beinum fingra. Þessu fylgir sérstakt útlit fingra sem kallast kylfufingur, (mynd 5-2), en um þriðjungur sjúklinga með HOA fá þá.10

Loks má nefna taugaeinkenni ýmis konar sem oftast tengjast smáfrumukrabbameini. Þannig greinist Eaton­Lambert heilkenni hjá 3% sjúklinga með smáfrumukrabbamein og er taugaboðakvilli sem birtist sem mikill vöðvaslappleiki.11

58 Lungnakrabbameinsbókin

Heimildir

1. Beckles MA, Spiro SG, Colice GL, Rudd RM. Initial evaluation of the patient with lung cancer: symptoms, signs, laboratory tests, and paraneoplastic syndromes. Chest. 2003;123(1 Suppl):97S-104S.

2. Spiro SG, Gould MK, Colice GL, American College of Chest P. Initial evaluation of the patient with lung cancer: symptoms, signs, laboratory tests, and paraneoplastic syndromes: ACCP evidenced-based clinical practice guidelines (2nd edition). Chest. 2007;132(3 Suppl):149S-160S.

3. Pretreatment evaluation of non-small-cell lung cancer. The American Thoracic Society and The European Respiratory Society. Am J Respir Crit Care Med. 1997;156(1):320-332.

4. Koyi H, Hillerdal G, Branden E. A prospective study of a total material of lung cancer from a county in Sweden 1997-1999: gender, symptoms, type, stage, and smoking habits. Lung Cancer. 2002;36(1):9-14.

5. Buccheri G, Ferrigno D. Lung cancer: clinical presentation and specialist referral time. Eur Respir J. 2004;24(6):898-904.

6. Kocher F, Hilbe W, Seeber A, Pircher A, Schmid T, Greil R, et al. Longitudinal analysis of 2293 NSCLC patients: a comprehensive study from the TYROL registry. Lung Cancer 2015;87(2):193-200.

7. Arcasoy SM, Jett JR. Superior pulmonary sulcus tumors and Pancoast’s syndrome. N Engl J Med. 1997;337(19):1370-1376.

8. Fridriksson BM, Jonsson S, Oskarsdottir GN, Orrason AW, Isaksson HJ, Gudbjartsson T. [Outcome of surgical treatment for Pancoast lung carcinoma in Iceland]. Laeknabladid 2015;101(7-8):351-355.

9. Stenbygaard LE, Sorensen JB, Olsen JE. Metastatic pattern at autopsy in non-resectable adenocarcinoma of the lung--a study from a cohort of 259 consecutive patients treated with chemotherapy. Acta Oncol. 1997;36(3):301-306.

10. Sridhar KS, Lobo CF, Altman RD. Digital clubbing and lung cancer. Chest. 1998;114(6):15351537.

11. Elrington GM, Murray NM, Spiro SG, Newsom-Davis J. Neurological paraneoplastic syndromes in patients with small cell lung cancer. A prospective survey of 150 patients. J Neurol Neurosurg Psychiatry. 1991;54(9):764-767.

5. Kafli - Einkenni og teikn 59

6. Kafli

Snemmgreining og skimun

Steinn Jónsson og Tómas Guðbjartsson

Lengi hefur verið ljóst að árangur í meðferð lungnakrabbameins er bestur þegar sjúkdómurinn greinist snemma og unnt er að beita skurðaðgerð til lækningar. Því hefur verið áleitin spurning hvort snemmgreining áhættuhópa með skimun gæti bætt horfur verulega. Fyrstu skimunarrannsóknir með röntgenmyndum og frumurannsóknum á hráka á

60 Lungnakrabbameinsbókin
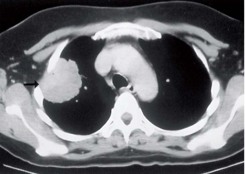
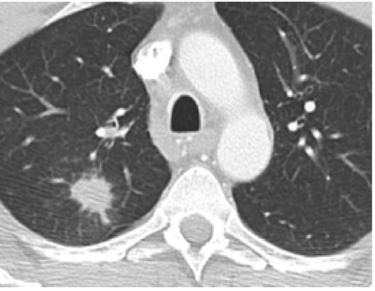
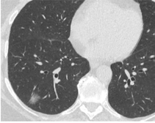
Mynd 6-1 Lítið lungnakrabbamein í hægra lunga (ör) sem fannst við skimun með tölvusneiðmyndum.

áttunda áratug síðustu aldar sýndu ekki fram á lækkun á dánartíðni borið saman við venjulegt eftirlit.1 Greindum tilfellum fjölgaði reyndar í skimunarhópi og fimm ára lifun batnaði en dánartíðni hélst óbreytt.

Með tilkomu tölvusneiðmyndatækni (TS) varð unnt að finna mun smærri hnúta í lungum en áður var mögulegt með hefðbundnum röntgenmyndum (mynd 6-1). Á síðustu áratugum hefur verið efnt til stórra framvirkra samstarfsverkefna, bæði í Bandaríkjunum og Evrópu. Fyrstu rannsóknir á skimun með TS voru gerðar í Japan og fyrsta alþjóðlega rannsóknin benti til þess að unnt væri að finna um

80% lungnakrabbameina á byrjunarstigi.2, 3 Þessar rannsóknir voru hins vegar ekki slembaðar sem rýrði niðurstöðurnar. Á árunum 20052009 var stærsta rannsóknin á TS skimun fyrir lungnakrabbameini til þessa framkvæmd á vegum bandarísku röntgenlæknasamtakanna.

Þar var 53 þúsund reykingamönnum/konum skipt í tvo slembihópa þar sem annar hópurinn hlaut árlega skimun með TS og hinn með röntgenmyndum. Niðurstöður voru birtar 2011 og sýndi rannsóknin 20,4% lækkun dánartíðni vegna lungnakrabbameins í TS hópnum (p<0.004).1 Auk þess lækkaði dánartíðni í skimunarhópnum í heild um 6,7% (p<0.02). Þetta var besti árangur sem náðst hafði með skimun og vakti vonir um að loksins væri komin aðferð til að lækka umtalsvert dánartíðni þessa snúna sjúkdóms. Skimunarrannsóknir með TS hafa einnig farið fram í Evrópu. Stærst þeirra er hollensk­belgíska NELSON rannsóknin þar sem 15,822 þátttakendum var skipt í skimunarhóp með TS sem fylgt var eftir í 6,5, ár og viðmiðunarhóp án skimunar. Niðurstöður NELSON rannsóknarinnar sýndu marktæka lækkun á dánartíðni, sem er meiri hjá konum en körlum, eða 36% lækkun borið saman við 26% hjá körlum.4,5

6. Kafli - Snemmgreining og skimun 61

Ýmis vandamál geta þó tengst skimun og má þar nefna óþarfa geislun á brjóst og brjóstholslíffæri en einnig streita.1, 5, 6 Lungnakrabbamein greinist aðeins í 0,5-1% TS­rannsókna og falsk­jákvæðar rannsóknir eru algengar.1, 5 Auk þess greinast ekki öll lungnakrabbamein sem hnútar í lungum og TS er ekki sérlega næmt við greiningu æxla miðlægt í berkjum. Því er verið að þróa aðferðir við snemmgreiningu æxla í berkjum með berkjuspeglun7

Engu að síður hefur skimun fyrir lungnakrabbameini með TS verið tekin inn í klínískar leiðbeiningar í Bandaríkjunum,8 leiðbeiningar sem heilbrigðisyfirvöld þar mæla með. Í Evrópu var lengi beðið eftir niðurstöðum NELSON rannsóknarinnar en ýmis samtök, þar á meðal bresku lungnalæknasamtökin, hafa mælt með skimun áhættuhópa og birt ítarlegar klínískar leiðbeiningar um gagnsemi skimunar.8, 9 Fyllilega er tímabært að tekin verði upp umræða á Íslandi um skimun fyrir lungnakrabbameini, en áhugi er fyrir hendi á hinum Norðurlöndunum.10 Slík skimun krefst þó mannafla og undirbúnings en ætla má að á Íslandi sé nú þegar til staðar nauðsynlegur tækjabúnaður og sjúkrahúsaðstaða. Þá gæti þekking á faraldsfræði og erfðum lungnakrabbameins hérlendis skapað okkur sérstöðu við skipulagningu skimunar fyrir lungnakrabbameini.11

62 Lungnakrabbameinsbókin

Heimildir

1. Aberle DR, Adams AM, Berg CD, Black WC, Clapp JD, Fagerstrom RM, et al. Reduced lung-cancer mortality with low-dose computed tomographic screening. N Engl J Med 2011;365(5):395-409.

2. Kaneko M, Kusumoto M, Kobayashi T, Moriyama N, Naruke T, Ohmatsu H, et al. Computed tomography screening for lung carcinoma in Japan. Cancer. 2000;89(11 Suppl):2485-2488.

3. Henschke CI, Yankelevitz DF, Libby DM, Pasmantier MW, Smith JP, Miettinen OS. Survival of patients with stage I lung cancer detected on CT screening. N Engl J Med 2006;355(17):1763-1771.

4. Field JK, Marcus MW, Oudkerk M. Risk assessment in relation to the detection of small pulmonary nodules. Transl Lung Cancer Res. 2017;6(1):35-41.

5. de Koning HJ, van der Aalst CM, de Jong PA, Scholten ET, Nackaerts K, Heuvelmans MA, et al. Reduced Lung-Cancer Mortality with Volume CT Screening in a Randomized Trial. N Engl J Med. 2020;382(6):503-513.

6. Chad-Friedman E, Coleman S, Traeger LN, Pirl WF, Goldman R, Atlas SJ, et al. Psychological distress associated with cancer screening: A systematic review. Cancer. 2017;123(20):38823894.

7. Jonsson S, Varella-Garcia M, Miller YE, Wolf HJ, Byers T, Braudrick S, et al. Chromosomal aneusomy in bronchial high-grade lesions is associated with invasive lung cancer. Am J Respir Crit Care Med. 2008;177(3):342-347.

8. Katki HA, Kovalchik SA, Berg CD, Cheung LC, Chaturvedi AK. Development and Validation of Risk Models to Select Ever-Smokers for CT Lung Cancer Screening. Jama 2016;315(21):2300-2311.

9. Tobacco smoke and involuntary smoking. IARC Monogr Eval Carcinog Risks Hum. 2004;83:11438.

10. Pedersen JH, Sørensen JB, Saghir Z, Fløtten Ø, Brustugun OT, Ashraf H, et al. Implementation of lung cancer CT screening in the Nordic countries. Acta Oncol. 2017;56(10):1249-1257.

11. Jonsson S, Thorsteinsdottir U, Gudbjartsson DF, Jonsson HH, Kristjansson K, Arnason S, et al. Familial risk of lung carcinoma in the Icelandic population. Jama. 2004;292(24):29772983.

6. Kafli - Snemmgreining og skimun 63

7. Kafli

Vefjafræði, vefjaflokkun og sameindameinafræði

Jurate Ásmundsson, Ingibjörg Guðmundsdóttir og Bylgja Hilmarsdóttir

Lungnakrabbamein eru oft æðarík og í þeim geta sést drep og blæðingar. Algengast er að þau séu á á bilinu 2-5 cm að stærð, en þau geta einnig verið mun stærri og lagt undir sig stóran hluta lungans. Oftast er lungnakrabbamein illa afmarkað frá umlykjandi lungnavef og stundum er til staðar ífarandi vöxtur í miðmæti, brjóstvegg eða þind.

Vefjaflokkun og mótefnalitanir

Til að vefjagreina lungnaæxli er fengið úr því sýni, oftast í berkjuspeglun eða með ástungu í gegnum brjóstvegg. Sýnið er skoðað í smásjá og síðan gerðar á því mótefnalitanir og í völdum tilfellum sameindafræðilegar mælingar. Lungnakrabbamein eru flokkuð í tvo vefjaflokka eftir útliti í ljóssmásjá, annars vegar smáfrumukrabbamein (SCLC) sem eru um 15% æxlanna, og hins vegar lungnakrabbamein af öðrum vefjagerðum (NSCLC) (84%) (mynd 7-1).

64 Lungnakrabbameinsbókin

a) Smáfrumukrabbamein.

c) Kirtilmyndandi krabbamein.

Mynd 7-1

b) Flöguþekjukrabbamein.

d) Stórfrumukrabbamein.

Fjórar helstu vefjagerðir lungnakrabbameins. a) Smáfrumukrabbamein. Þéttar breiður smárra æxlisfrumna vaxa án mynsturs. Kjarnalitarefni er þétt, einsleitt og kjarnakorn sjást naumast eða ekki.

b) Flöguþekjukrabbamein. Æxlisfrumur mynda hornefni og tengjast millifrumubrúm. c) Kirtilmyndandi krabbamein. Stórar æxlisfrumur með áberandi kjarnakorn mynda kirtilholrými. d) Stórfrumukrabbamein. Stórar æxlisfrumur vaxa í breiðum án sérhæfingar í átt til flögu- eða kirtilþekju.

7. Kafli - Vefjafræði, vefjaflokkun og sameindameinafræði 65

Kirtilkrabbamein (adenocarcinoma) og flöguþekjukrabbamein (squamous cell carcinoma) eru langalgengust en aðrar vefjagerðir eins og krabbalíki (carcinoid) sjaldgæfari (<2%). Nánari lýsingu og ljóssmásjármyndir af fjórum algengustu vefjaflokkunum má sjá á mynd 7-1. Með fullkomnari mótefnalitunum er nú mögulegt að flokka æxlin betur og hefur leitt til þess að hlutfall illa þroskaðra meina, eins og stórfrumuæxla (large cell carcinoma) og krabbalíkis, hefur fækkað.1

Í uppfærslu WHO á flokkun lungnakrabbameina frá 20111 breyttist flokkun kirtilkrabbameina töluvert og eru þau nú flokkuð eftir ráðandi smásjármynstri (tafla 7-1). Þannig eru komin til sögunnar forstig illkynja breytinga ef stærðin er minni en þrír sentímetrar og einungis sést svokallað „lepidic“ vaxtarmynstur, en það leysir af hólmi bronchoalveolar krabbamein (BAC) í eldri útgáfum. Ef slím finnst í slíkum æxlum eru þau hins vegar flokkuð sem ífarandi slímmyndandi krabbamein.

Á Vesturlöndum, Ísland þar með talið, hefur orðið umtalsverð breyting á innbyrðis hlutföllum æxlisflokkanna fjögurra. Þannig hefur fjöldi kirtilmyndandi krabbameins hér á landi aukist að því marki að það er nú algengasta vefjagerðin meðal kvenna, eða hjá 54% kvenna og 42% karla árið 2022 Hlutfall flöguþekjukrabbameins, og þó sérstaklega smáfrumukrabbameins, hefur að sama skapi lækkað á þessu tímabili.2, 3

Vegna nýjunga í krabbameinslyfjameðferð kirtilkrabbameina eru nú gerðar meiri kröfur um nákvæmari vefjaflokkun, enda komin til sögunnar líftæknilyf sem geta bælt vaxtarþætti með því að setjast á sértæka yfirborðsviðtaka æxlisfrumanna.4 Jafnframt eru mótefnalitanir (immunhistochemistry) gerðar á æxlisvef strax við greiningu til að staðfesta uppruna þeirra í lungum.

66 Lungnakrabbameinsbókin

Tafla 7-1

Helstu flokkar lungnaæxla samkvæmt styttri útgáfu af flokkun Alþjóða heilbrigðisstofnunarinnar frá 2004.1

Malignant epithelial tumours

Squamous cell carcinoma

Adenocarcinoma

Bronchioalveolar carcinoma

Solid adenocarcinoma with mucin production

Large cell carcinoma

Large cell neuroendocrine carcinoma

Sarcomatoid carcinoma

Carcinoid tumour

Salivary gland tumours

Preinvasive lesions

Mesenchymal tumours

Benign epithelial tumours

Papilloma

Squamous cell papillom

Adenomas

Lymphoproliferative tumours

Miscellaneous tumours

Metastatic tumours

7. Kafli - Vefjafræði, vefjaflokkun og sameindameinafræði 67

Frumugreining getur í völdum tilfellum komið í stað hefðbundinnar vefjagreiningar á æxlisvef. Með berkju­ eða ómspeglun er fínnálarfrumusýni tekið úr eitlum eða frumæxli.5 Í þessum speglunum skoðar frumumeinafræðingur sýni jafn óðum á staðnum. Þannig er tryggt að fullnægjandi sýni liggi fyrir til að byggja á fljótgreiningu (rapid on­site evaluation). Lokagreining er síðan gefin út eftir ítarlegri skoðun. Frumugreiningu má einnig nýta við fínnálarástungu á lungnaæxli sem gerð er með aðstoð tölvusneiðmynda og hafa færri fylgikvilla en hefðbundin grófnálarstunga. Röntgenlæknir staðsetur þá nál í jaðri æxlisins og frumumeinafræðingur tekur sýni sem strokið er á gler og er skoðað strax. Í þessum sýnatökum er hluti sýnisins hertur í alkóhóli og úr honum útbúinn frumumassi (cell block). Á honum má síðan gera mótefnalitanir sem í mörgum tilvikum er sambærileg þeim sem gerðar eru á hefðbundnu vefjasýni.6 Magn illkynja fruma í slíkum frumumassa nægir þó ekki alltaf til að hægt sé að gera sameindameinafræðilegar rannsóknir á æxlinu.

Sameindameinafræðirannsóknir Í dag er háhraða­raðgreining (next generation sequencing­NGS) notuð til að leita að stökkbreytingum í æxlisvef, m.a. á meinafræðideild Landspítala. Í kirtilkrabbameinum í lungum er leitað að stökkbreytingum í EGFR, KRAS, BRAF og ERBB2­viðtökum, en þeir gefa til kynna hvort

68 Lungnakrabbameinsbókin

æxlið sé næmt fyrir meðferð með sértækum líftæknilyfjum. Mikilvægastar eru stökkbreytingar í EGFR­viðtökum, en þær finnast hjá 10-15% sjúklinga af evrópskum uppruna með lungnakrabbamein af kirtilfrumugerð.7 Samrunagen eru einnig lyfjamark í kirtilfrumuæxlum og finnast í um 10% þeirra.7 Af þeim eru ALK og ROS1 samrunagen algengust og eru þau nú greind með ónæmislitunum og jákvæð svör síðan staðfest með háhraða raðgreiningu á RNA sýnum. Fleiri samrunagen sem teljast lyfjamörk líftæknilyfja eru greind með háhraða raðgreiningu, svo sem RET, NTRK1/2/3 auk ákveðinna splæsiafbrigða MET.8 Þegar notuð eru líftæknilyf sem sniðin eru að ákveðnum genabreytingum geta krabbameinsfrumur myndað þol við lyfinu.9 Þá er fengið nýtt sýni úr æxlinu og gerð sameindameinafræðileg greining sem getur nýst við að ákveða hvaða meðferð hentar best. Í töflu 7-2 er yfirlit yfir helstu stökkbreytingar, samrunagen og aðra lífmarka í lungnakrabbameinum, en framfarir á þessu sviði er hröð og nýjar mælingar bætast stöðugt við.

Sumir sjúklingar með útbreitt lungnakrabbamein fá ónæmismeðferð og er þá tjáning PDL-1 viðtaka notuð til að meta líkur á svörun ónæmismeðferðar. Slík meðferð getur þó einnig komið til greina við lungnakrabbamein án PDL-1 tjáningar.10

7. Kafli - Vefjafræði, vefjaflokkun og sameindameinafræði 69

Tafla 7-2

Stökkbreytingar, samrunagen, aðrir lífmarkar í kirtilfrumulungnaæxlum og sértæk krabbameinslyfjameðferð.

GEN TEGUND GENABREYTINGAR

EGFR Stökkbreytingar/ úrfellingar

KRAS Stökkbreytingar

ÞÝÐING FYRIR LYFJAVAL

Algengustu breytingarnar sem miðla næmni við EGFR hindra eru í útröðum 19 og 21. Aðrar sjaldgæfari breytingar í útröðum 18 og 20 valda ýmist næmni eða ónæmi gegn EGFR hindrum.

Algengustu breytingar í KRAS eru í tákna 12, en aðrar breytingar finnast einnig. Lyf við G12C eru í þriðja fasa lyfjatilrauna, en sú breyting er algengust í lungnaæxlum.

SÉRTÆK LYFJAMEÐFERÐ

osimertinib, erlotinib

BRAF Stökkbreytingar

ERBB2 Stökkbreytingar

Algengasta breyting BRAF er V600 og getur miðlað næmni við BRAF og MEK hindrum. vemurafenib/ dabrafenib + mekinist

Stökkbreytingar í útröð 20 geta miðlað næmni við Her2 miðaðri meðferð, en reynsla er enn takmörkuð.

ALK Samrunagen Mörg ALK samrunagen eru þekkt. Algengastur er samruni ALK og EML4, og miðlar næmi fyrir ALK hindrum.

traztuzumab

alectinib, crizotinib

ROS1 Samrunagen Ýmis gen finnast í samruna við ROS1 og miðla næmni við ROS1 hindra. crizotinib, entrectinib

RET Samrunagen Ýmis gen finnast í samruna við RET og miðla næmni við RET hindrum. cabozantinib

NTRK1/2/3 Samrunagen Ýmis gen finnast í samruna við NTRK1/2/3 og miðla næmni við NTRK hindrum.

MET Magnanir/úrfellingar Stökkbreytingar sem valda tapi á útröð 14 í MET, og mikil MET mögnun miðlar næmni við MET hindrum.

AÐRIR LÍFMARKAR

PDL-1 Tjáning metin með IHC litun Hlutfall jákvæðra frumna metið í æxlisvef sem gefur vísbendingu um næmni við ónæmismeðferð.

larotrectinib, entrectinib

cabozantinib, crizotinib

pembrolizumab, atezolizumab, nivolumab, durvalumab

70 Lungnakrabbameinsbókin

Heimildir

1. Travis WD, Brambilla E, Nicholson AG, Yatabe Y, Austin JHM, Beasley MB, et al. The 2015 World Health Organization Classification of Lung Tumors: Impact of genetic, clinical and radiologic advances since the 2004 Classification. Journal of thoracic oncology: official publication of the International Association for the Study of Lung Cancer. 2015;10(9):12431260.

2. Wahbah M, Boroumand N, Castro C, El-Zeky F, Eltorky M. Changing trends in the distribution of the histologic types of lung cancer: a review of 4,439 cases. Ann Diagn Pathol 2007;11(2):89-96.

3. Jonasson J, (ed.) TL. Krabbamein á Íslandi. Krabbameinsskrá Krabbameinsfélags Íslands 50 ára. Reykjavík: Krabbameinsfélagið; 2004.

4. Comprehensive molecular profiling of lung adenocarcinoma. Nature. 2014;511(7511):543550.

5. Annema JT, Versteegh MI, Veseliç M, Voigt P, Rabe KF. Endoscopic ultrasound-guided fine-needle aspiration in the diagnosis and staging of lung cancer and its impact on surgical staging. J Clin Oncol. 2005;23(33):8357-8361.

6. Dong Z, Li H, Zhou J, Zhang W, Wu C. The value of cell block based on fine needle aspiration for lung cancer diagnosis. J Thorac Dis. 2017;9(8):2375-2382.

7. Hirsch FR, Scagliotti GV, Mulshine JL, Kwon R, Curran WJ, Jr., Wu YL, et al. Lung cancer: current therapies and new targeted treatments. Lancet. 2017;389(10066):299-311.

8. Zugazagoitia J, Molina-Pinelo S, Lopez-Rios F, Paz-Ares L. Biological therapies in nonsmall cell lung cancer. Eur Respir J. 2017;49(3).

9. Asao T, Takahashi F, Takahashi K. Resistance to molecularly targeted therapy in non-small-cell lung cancer. Respir Investig. 2019;57(1):20-26.

10. Ancevski Hunter K, Socinski MA, Villaruz LC. PD-L1 testing in guiding patient selection for PD-1/PD-L1 inhibitor therapy in lung cancer. Mol Diagn Ther. 2018;22(1):1-10.

7. Kafli - Vefjafræði, vefjaflokkun og sameindameinafræði 71

8. Kafli Greining og stigun

Hrönn Harðardóttir, Pétur H. Hannesson og Tómas Guðbjartsson

Þegar grunur vaknar um lungnakrabbamein eru gerðar ýmsar rannsóknir til að staðfesta greininguna, en jafnframt til að meta útbreiðslu meinsins og almennt ástand sjúklingsins. Reynt er að velja þær rannsóknir sem veita mestar upplýsingar en hafa sem minnsta áhættu fyrir sjúklinginn.1

Myndrannsóknir á lunga

Tölvusneiðmyndir (TS) er helsta rannsóknin til bæði greiningar og stigunar á lungnakrabbameini, en í sumum tilvikum hafa sjúklingar áður greinst með íferð eða æxli á hefðbundinni lungnamynd (mynd 8-1). Lungnabólga sem erfiðlega gengur að meðhöndla eða íferðir sem ekki hverfa á meðferð ættu að vekja grun um lungnakrabbamein. Hluti lungnakrabbameina (allt að 30%) greinast fyrir tilviljun við myndrannsóknir hjá einkennalausum einstaklingum2 og er þá oftast um stakan hnút að ræða. Hnútur í lungum (<3 cm) getur verið þéttur (solid) eða hélulíkur án þétts hluta (ground glass), eða þéttur að hluta (mynd 8-2).

72 Lungnakrabbameinsbókin
8. Kafli - Greining og stigun 73
Mynd 8-1 Röntgenmynd af lungum sem sýnir þéttingu efst í hægra lunga (a), sem einnig sést vel á tölvusneiðmyndum (b,c), og lýsir upp í jáeindaskanna (d). a c b d

Mynd 8-2

Tölvusneiðmyndir af lunga sem sýnir hnúta í lungum með mismiklum þéttleika sem eftir sýnatöku reyndust allir vera lungnakrabbamein; þéttur hnútur (a), hálfþéttur hnútur (b), og hélulíkur hnútur (c).

74 Lungnakrabbameinsbókin
c
a b

Eftirlit og uppvinnsla á hnútum fer eftir stærð þeirra, útliti og áhættuþáttum sjúklings eins og aldri og reykingasögu. Líkur á krabbameini aukast með stærð og auknum þéttleika hnútsins. Óbreytt stærð í tvö ár er almennt talið merki um að þéttur hnútur sé ólíklega illkynja.3,4 Dreifðir hnútar í báðum lungum ættu að vekja grun um meinvörp frá illkynja æxlum utan brjósthols, en stakir hnútar geta einnig verið meinvörp.5 Alþjóðleg samtök röntgenlækna (Fleichner Society) gáfu nýlega út klínískar leiðbeiningar um eftirfylgni á hnútum í lungum og eru sýndar í töflu 8-1.14, 6

Mælt er með TS eftirliti ef hnútar eru 6-8 mm að stærð en ráðlagt er að íhuga frekari rannsóknir ef þeir eru 8 mm eða stærri, t.d. með jáeindaskönnun (JS), eða fá vefjasýni með ástungu. Annars er mælt með eftirliti innan þriggja mánaða. Hnútum undir 6 mm að stærð þarf í sumum tilfellum að fylgja eftir, sérstaklega ef áhætta á krabbameini er aukin (margir hnútar, og mikil reykingasaga).4 Á síðustu árum hefur athyglin beinst að vel afmarköðum hélubreytingum, en stór hluti þeirra reynist hægt vaxandi kirtilfrumukrabbamein eða forstig krabbameins (carcinoma in situ). Þess vegna er ráðlagt að fylgja hélubreytingum eftir lengur, eða í allt að fimm ár.4

8. Kafli - Greining og stigun 75

Tafla 8-1

Alþjóðlegar ráðleggingar Fleichner Society um eftirfylgni hnúta í lungum út frá stærð, gerð þeirra og fjölda ásamt áhættuþáttum. Athugið að þessar ráðleggingar eiga ekki við í skimun fyrir lungnakrabbameini, sjúklinga á ónæmisbælandi meðferð eða sjúklinga með þekkt krabbamein.

A. ÞÉTTIR HNÚTAR

Stærð

Gerð hnúts <6 mm (>100 mm3) 6-8 mm (100-250 mm3) >8 mm (<250 mm3) Athugasemdir

Stakur

Lítil áhætta Engin eftirfylgni.

Mikil áhætta

Endurtaka TS eftir 12 mánuði.

Margir

Lítil áhætta Engin eftirfylgni.

Mikil áhætta TS eftir 12 mánuði.

B. GRISJÓTTIR HNÚTAR

TS eftir 6-12 mánuði, endurtaka eftir 18-24 mánuði.

TS eftir 3-6 mánuði, má endurtaka eftir 18-24 mánuði.

TS eftir 3-6 mánuði, má endurtaka eftir 18-24 mánuði.

TS eftir 3-6 mánuði, endurtaka eftir 18-24 mánuði.

Stærð

Íhuga TS eftir þrjá mánuði, JS eða vefjagreiningu.

Íhuga TS eftir þrjá mánuði, JS eða vefjagreiningu.

TS eftir 3-6 mánuði, má endurtaka eftir 18-24 mánuði.

TS eftir 3-6 mánuði, endurtaka eftir 1824 mánuði.

Hnútar undir 6 mm þurfa ekki frekari eftirfylgni.

Ef margir áhættuþættir, má endurtaka TS eftir 12 mánuði.

Fylgjast þarf með hnút sem er grunsamlegastur.

Fylgjast þarf með hnút sem er grunsamlegastur.

Gerð hnúts <6 mm (>100mm3) >6 mm (>100 mm3) Athugasemdir

Stakur

Hélulíkur (ground glass) Þarfnast ekki eftirlits.

Þéttur að hluta Þarfnast ekki eftirlits.

Margir

TS eftir 3-6 mánuði. Íhuga að endurtaka eftir 2 og 4 ár.

TS eftir 6-12 mánuði og eftirfylgni á tveggja ára fresti í 5 ár.

TS eftir 3-6 mánuði. Ef óbreytt og þéttir hlutar haldast <6 mm, þá gera árlega TS í 5 ár.

TS eftir 3-6 mánuði. Eftirfylgni ræðst af grunsamlegasta hnúti.

Ef sterkir áhættuþættir og hnútur <6 mm, má endurtaka eftir tvö og 4 ár.

Hnútar sem haldast óbreyttir >6 mm eru grunsamlegir.

Margir hnútar <6 mm eru yfirleitt góðkynja en má fylgja eftir ef margir áhættuþættir.

76 Lungnakrabbameinsbókin

Jáeindaskanni (JS, PET/CT) er myndrannsókn sem notast við sporefni (FDG) sem sýnir brennslu sykurs í frumum og er gagnleg til að meta hvort hnútur í lungum sé ill­ eða góðkynja (mynd 8-3). JS er ekki áreiðanleg rannsókn við mat á hnútum undir 8 mm á stærð og nýtist sömuleiðis illa við mat á hélubreytingum.7 Fyrir stærri þétta hnúta er hún hins vegar áreiðanleg rannsókn og er jákvætt og neikvætt forspárgildi um 90%.7 Því er í flestum tilvikum talið óhætt að fylgja eftir hnútum sem ekki lýsa upp við JS­rannsókn.7 Staðbundnar bólgubreytingar geta gefið falskt jákvæðar niðurstöður á JS, á meðan lítil æxli eða íferðir með lítilli efnaskiptavirkni, eins og kirtilfrumukrabbamein í formi hélubreytinga, geta gefið falskt neikvætt svar.7 Yfirleitt er mælt með sýnatöku úr hnútum sem taka upp sporefni á JS til að staðfesta að um krabbamein sé að ræða.7

8. Kafli - Greining og stigun 77

Stigunarkerfi

Lungnakrabbamein sem ekki er af smáfrumugerð er stigað samkvæmt

TNM­stigunarkerfi Alþjóða heilbrigðisstofnunarinnar.8 Kallast það klínisk stigun (cTNM) þegar eingöngu er byggt á myndrannsóknum og vefjasýnatöku en meinafræðistigun (pTNM) þegar vefjaskoðun á brottnumdu æxli liggur fyrir. Lagt er mat á stærð æxlis (T), útbreiðslu þess í eitla (N) og önnur líffæri (M). Í töflu 8-2 eru fjórir stigunarflokkar

TNM­kerfisins sýndir, en þessar upplýsingar eru síðan notaðar til að spá fyrir um horfur sjúklinga og ákvarða meðferð.8

Lengst af hefur stigun smáfrumukrabbameins verið frábrugðin öðrum lungnakrabbameinum og hefðbundið að skipta henni í einungis tvö stig, takmarkaðan sjúkdóm (limited disease) og útbreiddan sjúkdóm (extensive disease).9 Í takmörkuðum sjúkdómi er krabbameinið bundið við lunga og brjósthol sömu megin og æxlið, auk miðmætiseitla og eitla ofan við viðbein; en miðað er við svæði sem getur rýmst innan eins geislasvæðis. Útbreitt smáfrumukrabbamein greinist í 70% tilfella en þar eru fjarmeinvörp nær alltaf til staðar, oftast í beinmerg, lifur, heila og hinu lunganu.10 Í nýlegum alþjóðlegum leiðbeiningum um stigun er þó ráðlagt að nota frekar TNM stigun fyrir smáfrumukrabbamein, líkt og gert er við önnur lungnakrabbamein,11 og má búast við því að sú verði raunin á næstu árum.

78 Lungnakrabbameinsbókin
8. Kafli - Greining og stigun 79
Mynd 8-3
a b
Tölvusneiðmyndir sem sýna æxli í neðri hluta hægra lunga (a), sem lýsir upp á jáeindaskanna (b).

Stigunarrannsóknir

Helsta stigunarrannsóknin í lungnakrabbameini er TS af brjóst­ og kviðarholi. TS er mikilvægt við T og M hluta stigunar en hefur minna notagildi við stigun miðmætiseitla þar sem næmi og sértækni er lítil, eða 55% og 81%.12 TS er yfirleitt notað við mat á ífarandi vexti krabbameinsins, en í völdum tilvikum getur segulómun verið hjálpleg til að meta ífarandi vöxt í brjóstvegg og miðmæti, sérstaklega ef um er að ræða krabbamein í lungnatoppi (Pancoast æxli)12, 13 (mynd 8-4).

Rannsóknir á dreifingu sjúkdómsins í miðmætiseitla eru sérlega mikilvægar og val á meðferð er undir niðurstöðum þeirra rannsókna komin. Eitilstöðvum í miðmæti er skipt upp í svæði og þær númeraðar kerfisbundið.14 Á TS er oft miðað við að eitlar stærri en 10 mm í þvermál kallist „stækkaðir“, en næmi TS í þessu tilliti er lágt.12 Þannig hafa rannsóknir sýnt að smásæ meinvörp geti verið til staðar í miðmætiseitlum sem ekki eru stækkaðir, sérstaklega þegar um miðlæg æxli er að ræða, í kirtilmyndandi krabbameinum >3 cm að stærð og þegar grunur leikur á meinvörpum í eitlum í lungnaporti (hilus).15 Neikvætt forspárgildi JS fyrir miðmætiseitla er hátt og eru því frekari rannsóknir óþarfar ef sú rannsókn er neikvæð.15 Jákvætt forspárgildi JS við miðmætiseitla er lægra (80%) þar sem um getur verið að ræða ósértæka upptöku sporefnis í þeim, til dæmis vegna bólgu.7

80 Lungnakrabbameinsbókin
8. Kafli - Greining og stigun 81
Mynd 8-4 Segulómmynd af brjóstholi sem sýnir Pancoast æxli í lunga (a), sem lýsir upp í jáeindarskanna (b). a b

Tafla 8-2

TNM stigun lungnakrabbameins (smáfrumukrabbamein undanskilin), 8. útgáfa.

TNM ÞÆTTIR

T: Frumæxli

Tx Frumæxli finnst ekki eða krabbameinsfrumur greinast í hrákasýni eða berkjuskoli án þess að frumæxli sé sjáanlegt við myndrannsóknir eða berkjuspeglun

T0 Frumæxli finnst ekki

Tis Forstig krabbameins (carcinoma in situ)

T1 Æxli ≤ 3 cm í mesta þvermáli umlukið lunga eða lungnafleiðru án vaxtar inn í aðalberkju

T1a(mi) Lítið æxli (minimally invasive adenocarcinoma)

T1a Æxli ≤1 cm í mesta þvermál

T1b Æxli >1 en ≤2 cm í mesta þvermál

T1c Æxli >2 en ≤3 cm í mesta þvermál

T2 Æxli >3 cm en ≤5 cm eða æxli sem:

i) vex inn í aðalberkju óháð fjarlægð frá berkjukili (carina) og vex ekki inn í hann eða

ii) vex inn í lungnafleiðru (pleura visceralis) eða

iii) veldur samfalli á lunga eða lungnabólgu vegna lokunar berkju sem tekur yfir hluta lunga eða öllu lunganu að lungnaporti

T2a Æxli >3 en ≤4 cm í mesta þvermál

T2b Æxli >4 en ≤5 cm í mesta þvermál

T3 Æxli >5 en ≤7 cm í mesta þvermál eða aðskilinn hnútur/hnútar í sama lungnablaði og frumæxlið eða æxlisvöxtur í brjóstvegg, þindartaug eða gollurshúsi

T4 Æxli >7 cm í mesta þvermál eða aðskilinn hnútur/hnútar í öðru en samhliða lungnablaði og frumæxlið eða æxlisvöxtur inn í þind, miðmæti, hjarta, stórar æðar í miðmæti, barka, raddbandataug (recurrent laryngeal nerve), vélinda, hryggjarbol eða berkjukjöl

N: Meinvörp til miðmætiseitla

Nx Ekki er hægt að meta hvort meinvörp til miðmætiseitla séu til staðar

N0 Engin meinvörp í miðmætiseitlum

N1 Meinvörp eða beinn æxlisvöxtur í eitla í lungnaporti sömu megin og frumæxli

N2

N3

Meinvörp í miðmætiseitlum sömu megin miðlínu og frumæxli ásamt meinvörpum í eitlum undir berkjukili (subcarinal lymph nodes)

Meinvörp í miðmætiseitlum, lungnaporti og hálseitlum (scalene, supraclavicular lymph nodes) hinum megin við miðlínu miðað við frumæxli

M: Fjarmeinvörp

M0 Engin fjarmeinvörp

M1 Fjarmeinvörp til staðar

M1a Aðskilinn hnútur/hnútar í hinu lunganu miðað við frumæxli; æxlisvöxtur í fleiðru eða gollurshúsi eða illkynja frumur í fleiðru­ eða gollurshússvökva

M1b Stakt meinvarp utan brjóstkassa

M1c Mörg meinvörp utan brjóstkassa í einu eða fleiri líffærum

82 Lungnakrabbameinsbókin
8. Kafli - Greining og stigun 83 TNM-STIG T N M Dulið krabbamein TX N0 M0 0 Tis N0 M0 IA1 T1mi N0 M0 T1a N0 M0 IA2 T1b N0 M0 IA3 T1c N0 M0 IB T2a N0 M0 IIA T2b N0 M0 IIB T1a N1 M0 T1b N1 M0 T1c N1 M0 T2a N1 M0 T2b N1 M0 T3 N0 M0 IIIA T1a N2 M0 T1b N2 M0 T1c N2 M0 T2a N2 M0 T2b N2 M0 T3 N1 M0 T4 N0 M0 T4 N1 M0 IIIB T1a N3 M0 T1b N3 M0 T1c N3 M0 T2a N3 M0 T2b N3 M0 T3 N2 M0 T4 N2 M0 IIIC T3 N3 M0 T4 N3 M0 IVA Öll T stig Öll N stig M1a Öll T stig Öll N stig M1b IVB Öll T stig Öll N stig M1c

Mynd 8-5

Á stigi I og II er sjúkdómurinn bundinn við lungað (stig I) og/eða eitla sem eru staðsettir innan lungans (stig II). Á stigum I og II er langoftast hægt að komast fyrir meinið með skurðaðgerð. Á stigi III hefur meinið annað hvort dreift sér til eitla í miðmæti eða vex inn að miðmæti. Skurðaðgerð kemur þá sjaldnast til greina, en í staðinn er beitt samhliða geisla­ og krabbameinslyfjameðferð. Á stigi IV hefur lungnakrabbamein dreift sér til annarra líffæra, oftast til lifrar, heila, beina eða til hins lungans. Skurðaðgerð kemur þá sjaldnast til greina, en í staðinn er beitt meðferð með krabbameinslyfjum og stundum geislameðferð.

84 Lungnakrabbameinsbókin
Stig I Stig III Stig II Stig IV
8. Kafli - Greining og stigun 85
Mynd 8-6 Kort af helstu eitilsvæðum í miðmæti. Byggt á Naruke en lítillega breytt. Eitlar í miðmæti (N2 og N3) Eitlar miðlægt í lunga (N1) Eitlar í lunga (N1)

Leit að meinvörpum utan brjósthols er mikilvægur hluti stigunar, enda hefur meirihluti lungnakrabbameinssjúklinga dreifðan sjúkdóm við greiningu. Meinvörp í heila, beinum, lifur og nýrnahettum eru algengust.13 Hefðbundin stigunarrannsókn í þessu tilliti er TS, en einnig JS ef fyrirhuguð er læknandi meðferð. Hjá sjúklingum sem ekki eru augljóslega með dreifðan sjúkdóm, og þar sem stefnt er að læknandi meðferð, er nær alltaf mælt með JS. Sýnt hefur verið fram á að JS breyti meðferð hjá yfir 40% sjúklinga miðað við eldri stigunaraðferðir,16 og geti fækkað óþarfa skurðaðgerðum um allt að 20%.17 Auk JS er einnig mælt með TS eða segulómun af heila þar sem JS greinir illa meinvörp í heila. JS hefur gott næmi og sértækni fyrir meinvörp í nýrnahettum en nánari rannsóknir með TS eða segulómun geta verið hjálplegar til greiningar á góðkynja stækkun.13 Ef niðurstaða úr JS liggur fyrir þarf ekki beinaskann enda næmi og sértæki þessara rannsókna svipuð (mynd 8-7 ).7

86 Lungnakrabbameinsbókin

Mynd 8-7

Meinvarp í mjaðmarkambi frá lungnakrabbameini (ör) sem greinist á jáeindasneiðmynd (a) en ekki á tölvusneiðmynd (b) eða 99mTc beinaskanni (c).

8. Kafli - Greining og stigun 87
a c b

Sýnataka til frumu- og vefjagreiningar

Sýnataka úr æxli eða meinvarpi er nauðsynleg til greiningar á lungnakrabbameini. Auk hefðbundinnar vefjagreiningar er nauðsynlegt að sýnið sé nægilega stórt þannig að hægt sé að gera á því ónæmis­, sameinda­ og stökkbreytingarannsóknir (sjá kafla 7 ), sérstaklega ef fyrirhuguð er krabbameinslyfjameðferð.

Berkjuspeglun nýtist ekki aðeins til greiningar heldur einnig til stigunar (mynd 8-8). Er næmi hennar best við æxli miðlægt í lunganu,18 en þegar æxli liggur utarlega í lungnablaði og er staðsett fjarri stærri berkjugreinum, getur verið erfitt að komast að því með hefðbundinni berkjuspeglun. Þá er oftast náð í vefjasýni með nálarstungu í gegnum brjóstvegg, og er ástungan nær alltaf gerð með aðstoð TS (mynd 8-8). Eftir slíka ástungu næst sýni til greiningar í 70-90% tilfella, en fyrir hnúta undir 1 cm að stærð er hlutfallið lægra.19, 20 Loftbrjóst er algengasti fylgikvillinn í kjölfar ástungu og sést í allt að 39% tilfella eftir ástungu með grófnál, en 24% með fínnálarástungu.21 Oftast nægir að fylgjast með loftbrjóstinu, en fimmtungur sjúklinga þarf brjóstholskera.20 Víða erlendis er farið að nota óm­ (radial endobronchial ultrasound) og segulmiðun (navigational bronchoscpy) við berkjuspeglun til að staðsetja betur og ná sýnum úr æxlum sem liggja utarlega í lungum.22

Sé læknandi meðferð talin möguleg hjá sjúklingi með stækkaða eða JS­jákvæða miðmætiseitla er gerð sýnataka til að staðfesta meinvarpið.15 Unnt er að taka sýni úr miðmætiseitlum með nál sem stungið er í gegnum berkju og kallast berkjuómspeglun (endobronchial

88 Lungnakrabbameinsbókin
89

ultrasound, EBUS), en einnig er hægt að fara í gegnum vélinda og kallast vélindaómspeglun (eosophageal ultrasound, EUS). Er notast við ómstýringu í báðum tilvikum (mynd 8-8). Þetta er örugg aðferð við stigun miðmætiseitla, sérstaklega þá sem liggja nálægt stærri loftvegum og eru >10 mm að stærð. Er berkjuómspeglun því ráðlögð sem fyrsta rannsóknaraðferð til sýnatöku úr miðmætiseitlum.

Ástunga í gegnum vélinda kemur síðan til greina við eitlastækkanir

í neðri hluta miðmætis, en erfitt getur verið að ná til þeirra með berkju­ eða miðmætisspeglun.23 Bæði berkju­ og vélindaómspeglun má framkvæma í slævingu eða stuttri svæfingu og er sértækni beggja rannsókna há (83-92%) og tíðni fylgikvilla (blæðing, sýking í miðmæti, loftbrjóst) lág (<1%).24

Eftir að berkju­ og vélindaómspeglun kom til sögunnar hefur miðmætisspeglunum (mediastinoscopy) fækkað stórlega. Hún getur þó komið til greina fáist greining á miðmætiseitlum ekki með öðrum hætti.15 Þá er í svæfingu gerður 2-3 cm skurður á neðanverðum hálsi og röri með ljósgjafa rennt eftir framanverðum barka niður í miðmæti. Hægt er að ná sýnum úr eitlum í ofanverðu miðmæti sömu megin og æxlið (N2eitlastöð), eða gagnstæðu megin (N3­eitlastöð) (mynd 8-9). Næmi miðmætisspeglunar í greiningu eitilmeinvarpa er 90% og sértæki 100%,15, 25 en með henni næst þó ekki til eitla í neðanverðu miðmæti eða eitla í vinstra lungnaporti. Miðmætisspeglun er örugg aðgerð, og eru fylgikvillar eins og blæðing, áverki á vinstri raddbandstaug og skurðsýkingar sjaldgæfar (<1%).25, 26

Loks getur brjóstholsspeglun (video assisted thoracoscopy) komið til greina þegar sterkur grunur leikur á meinvörpum í fleiðru, til dæmis ef endurtekin frumurannsókn á fleiðruvökva er neikvæð og æxli ekki sjáanleg á TS.13

90 Lungnakrabbameinsbókin
8. Kafli - Greining og stigun 91
Mynd 8-9 Miðmætisspeglun.

Heimildir

1. NICE guidelines on Lung cancer (NG122): diagnosis and management, march 2019.

2. Orrason AW, Sigurdsson MI, Baldvinsson K, Thorsteinsson H, Jonsson S, Gudbjartsson T. Incidental detection by computed tomography is an independent prognostic factor for survival in patients operated for nonsmall cell lung carcinoma. ERJ Open Res. 2017;3(2).

3. Jeong YJ, Yi CA, Lee KS. Solitary pulmonary nodules: detection, characterization, and guidance for further diagnostic workup and treatment. AJR Am J Roentgenol 2007;188(1):57-68.

4. MacMahon H, Naidich DP, Goo JM, Lee KS, Leung ANC, Mayo JR, et al. Guidelines for Management of Incidental Pulmonary Nodules Detected on CT Images: From the Fleischner Society 2017. Radiology. 2017;284(1):228-243.

5. Wahbah M, Boroumand N, Castro C, El-Zeky F, Eltorky M. Changing trends in the distribution of the histologic types of lung cancer: a review of 4,439 cases. Ann Diagn Pathol 2007;11(2):89-96.

6. Gudmundsson G JH. Hnútar í lungum og eftirfylgni þeirra. Læknablaðið. 2020;106(4):214.

7. Groheux D, Quere G, Blanc E, Lemarignier C, Vercellino L, de Margerie-Mellon C, et al. FDG PET-CT for solitary pulmonary nodule and lung cancer: Literature review. Diagn Interv Imaging. 2016;97(10):1003-1017.

8. Goldstraw P, Chansky K, Crowley J, Rami-Porta R, Asamura H, Eberhardt WE, et al. The IASLC Lung Cancer Staging Project: Proposals for Revision of the TNM Stage Groupings in the Forthcoming (Eighth) Edition of the TNM Classification for Lung Cancer. J Thorac Oncol 2016;11(1):39-51.

9. Simon GR, Turrisi A. Management of small cell lung cancer: ACCP evidence-based clinical practice guidelines (2nd edition). Chest. 2007;132(3 Suppl):324s-339s.

10. Elliott JA, Osterlind K, Hirsch FR, Hansen HH. Metastatic patterns in small-cell lung cancer: correlation of autopsy findings with clinical parameters in 537 patients. J Clin Oncol 1987;5(2):246-254.

11. Fruh M, De Ruysscher D, Popat S, Crino L, Peters S, Felip E. Small-cell lung cancer (SCLC): ESMO Clinical Practice Guidelines for diagnosis, treatment and follow-up. Annals of oncology : official journal of the European Society for Medical Oncology / ESMO. 2013;24 Suppl 6:vi99-105.

12. Rami-Porta R, Call S, Dooms C, Obiols C, Sánchez M, Travis WD, et al. Lung cancer staging: a concise update. Eur Respir J. 2018;51(5).

13. Silvestri GA, Gonzalez AV, Jantz MA, Margolis ML, Gould MK, Tanoue LT, et al. Methods for staging non-small cell lung cancer: Diagnosis and management of lung cancer, 3rd ed: American College of Chest Physicians evidence-based clinical practice guidelines. Chest 2013;143(5 Suppl):e211S-e250S.

92 Lungnakrabbameinsbókin

14. Naruke T, Tsuchiya R, Kondo H, Nakayama H, Asamura H. Lymph node sampling in lung cancer: how should it be done? Eur J Cardiothorac Surg. 1999;16 Suppl 1:S17-24.

15. De Leyn P, Dooms C, Kuzdzal J, Lardinois D, Passlick B, Rami-Porta R, et al. Revised ESTS guidelines for preoperative mediastinal lymph node staging for non-small-cell lung cancer. Eur J Cardiothorac Surg. 2014;45(5):787-798.

16. Gregory DL, Hicks RJ, Hogg A, Binns DS, Shum PL, Milner A, et al. Effect of PET/CT on management of patients with non-small cell lung cancer: results of a prospective study with 5-year survival data. J Nucl Med. 2012;53(7):1007-1015.

17. Verboom P, van Tinteren H, Hoekstra OS, Smit EF, van den Bergh JH, Schreurs AJ, et al. Cost-effectiveness of FDG-PET in staging non-small cell lung cancer: the PLUS study. Eur J Nucl Med Mol Imaging. 2003;30(11):1444-1449.

18. Schreiber G, McCrory DC. Performance characteristics of different modalities for diagnosis of suspected lung cancer: summary of published evidence. Chest. 2003;123(1 Suppl):115s128s.

19. Rivera MP, Mehta AC, Wahidi MM. Establishing the diagnosis of lung cancer: Diagnosis and management of lung cancer, 3rd ed: American College of Chest Physicians evidence-based clinical practice guidelines. Chest. 2013;143(5 Suppl):e142S-e165S.

20. Li H, Boiselle PM, Shepard JO, Trotman-Dickenson B, McLoud TC. Diagnostic accuracy and safety of CT-guided percutaneous needle aspiration biopsy of the lung: comparison of small and large pulmonary nodules. AJR Am J Roentgenol. 1996;167(1):105-109.

21. Heerink WJ, de Bock GH, de Jonge GJ, Groen HJ, Vliegenthart R, Oudkerk M. Complication rates of CT-guided transthoracic lung biopsy: meta-analysis. Eur Radiol. 2017;27(1):138-148.

22. Ma L, Fang Y, Zhang T, Xue P, Bo L, Liu W, et al. Comparison in efficacy and safety of forceps biopsy for peripheral lung lesions guided by endobronchial ultrasound-guided sheath (EBUS-GS) and electromagnetic navigation bronchoscopy combined with EBUS (ENBEBUS). Am J Transl Res. 2020;12(8):4604-4611.

23. Annema JT, Versteegh MI, Veseliç M, Voigt P, Rabe KF. Endoscopic ultrasound-guided fine-needle aspiration in the diagnosis and staging of lung cancer and its impact on surgical staging. J Clin Oncol. 2005;23(33):8357-8361.

24. Zhang R, Ying K, Shi L, Zhang L, Zhou L. Combined endobronchial and endoscopic ultrasound-guided fine needle aspiration for mediastinal lymph node staging of lung cancer: a meta-analysis. Eur J Cancer. 2013;49(8):1860-1867.

25. Detterbeck FC, Jantz MA, Wallace M, Vansteenkiste J, Silvestri GA. Invasive mediastinal staging of lung cancer: ACCP evidence-based clinical practice guidelines (2nd edition). Chest. 2007;132(3 Suppl):202s-220s.

26. Olafsdottir TS, Gudmundsson G, Bjornsson J, Gudbjartsson T. [Mediastinoscopy in Iceland: indications and surgical outcome]. Laeknabladid. 2010;96(6):399-403.

8. Kafli - Greining og stigun 93

9. Kafli

Skurðmeðferð

Tómas Guðbjartsson

Helstu meðferðir við lungnakrabbameini eru sýndar í töflu 9-1, en þeim má skipta í skurðaðgerð, geisla­ og lyfjameðferð. Skurðaðgerð er helsta læknandi meðferðin við staðbundnu lungnakrabbameini.1 Hérlendis fer þriðji hver sjúklingur með lungnakrabbamein sem ekki eru smáfrumukrabbamein í skurðaðgerð þar sem lækning er markmiðið, og þykir það hátt hlutfall á heimsvísu.2 Langflestir þeirra eru á stigi I eða II en þegar sjúkdómurinn hefur borist í miðmætiseitla sömu megin og lungnaæxlið (stig IIIA) er skurðaðgerð aðeins beitt í undantekningartilfellum,3 og næstum aldrei þegar fjarmeinvörp eru til staðar (stig IV). Sama á við þegar miðmætiseitlameinvörp eru gagnstæðu megin við frumæxlið, þ.e. á stigi IIIB.1

Tafla 9-1

Yfirlit yfir meðferð sjúklinga með lungnakrabbmein önnur en smáfrumukrabbamein.

TNM stig Meðferð

I Skurðaðgerð eingöngu Óskurðtækir: Geislameðferð

II Skurðaðgerð + lyfjameðferð eftir aðgerð Óskurðtækir: Geislameðferð og/eða lyfjameðferð

IIIA Lyfja­ og geislameðferð samhliða, auk skurðaðgerðar í völdum tilvikum

IIIB Lyfjameðferð +/­ geislameðferð samhliða

94 Lungnakrabbameinsbókin

Algengasta aðgerðin við lungnakrabbameini er blaðnám (lobectomy) (mynd 9-1a), og er henni beitt í 80-85% skurðtilfella.2, 4 Þá er lungnablaðið í heild sinni fjarlægt ásamt eitlum í blaðinu og í lungnaporti næst blaðinu (N1 eitlar). Einnig eru eitlar í miðmæti sömu megin og lungnaæxlið fjarlægðir, fyrst og fremst til stigunar en eitlatakan eykur óverulega tíðni fylgikvilla.5, 6

Við fleygskurð (wedge resection) og geiraskurð (segmentectomy) (mynd 9-1b) er minna fjarlægt af lunga en við blaðnám, og eru þessar aðgerðir gerðar hjá 10-15% sjúklinga, aðallega sjúklingum sem ekki eru taldir þola blaðnám vegna skertrar lungnastarfsemi.7 Aðgerðirnar eru fljótlegri og tæknilega einfaldari en blaðnám, en tíðni endurtekins lungnakrabbameins er í eldri rannsóknum allt að þrefalt hærri í kjölfar þessara aðgerða.8 Skýrist það aðallega af því að við blaðnám eru allir N1 eitlar í blaðinu fjarlægðir, en þeir geta í allt að 15% tilfella innihaldið meinvörp.1, 6 Ef æxli eru staðsett miðsvæðis í lunganu, eða teygja sig á milli blaða, getur þurft að gera lungnabrottnám (pneumonectomy), og á það við í u.þ.b. 5% tilfella.9, 10 Lungnabrottnám (mynd 9-1c) er stór aðgerð og sjúklingar lengur að jafna sig en eftir blaðnám, auk þess sem lífsgæði sjúklinga til langs tíma eru síðri.9, 10

Blaðnám, fleygskurðir og sumir geiraskurðir eru í dag oftast framkvæmdir með brjóstholssjá og kallast VATS (video­assisted thoracic surgery). Á mynd 9-2a sjást skurðir við slíka aðgerð, en lungað er þá fjarlægt í gegnum 3-4 cm langan skurð (mynd 9-2b) án þess að glenna rif í sundur líkt og við hefðbundinn brjóstholsskurð, sem aftur minnkar verki og styttir legutíma.11 Hefðbundinn brjóstholsskurður (mynd 9-2b) á þó enn við í um 10% tilfella, til dæmis við lungnabrottnám og stærri æxli (>8 cm), eða þau sem vaxin eru inn í miðlægar æðar og/eða berkju.12

9. Kafli - Skurðmeðferð 95

Mynd 9-1

Helstu skurðaðgerðir við lungnakrabbameini: fleyg­/geiraskurður (a), fleyg­/geiraskurður (b), og lungnabrottnám (c).

96 Lungnakrabbameinsbókin
a c b
9. Kafli - Skurðmeðferð 97
Mynd 9-2
a b
Skurðir í VATS­aðgerð (a) og við hefðbundinn brjóstholsskurð (b).

Óháð aðgerðartækni eru fylgikvillar tíðari eftir blaðnám en fleyg­ og geiraskurð, og eru gróflega helmingi tíðari eftir lungnabrottnám en blaðnám.7, 12 Helstu fylgikvillar eru sýndir í töflu 9-1

Tafla 9-1

Helstu fylgikvillar við lungnaskurðaðgerðir vegna lungnakrabbameins.

• Gáttaflökt

• Lungnabólga/öndunarbilun

• Blæðing (sem krefst enduraðgerðar)

• Viðvarandi loftleki (>4 dagar)

• Berkju­fleiðrufistill

• Kransæðastífla/hjartabilun

• Skurðsýkingar

• Fleiðruholssýking (empyema)

• Raddbandalömun

98 Lungnakrabbameinsbókin

Oftast er um minniháttar fylgikvilla að ræða eins og gáttatif (6%) og yfirborðssýkingar (2%) en alvarlegar blæðingar (2%) og öndunarbilun (6%) geta komið fyrir.2, 7 Alvarlegir fylgikvillar eru algengastir eftir lungnabrottnám, til dæmis fleiðruholssýking (5%) sem oftast tengist leka frá berkjustúf sem veldur berkjufleiðrufistli.7 Annar tiltölulega sjaldgæfur fylgikvilli eftir lungnabrottnám er hægri hjartabilun (<5%), og á líkt og berkjufleiðrufistill sinn þátt í að 30 daga dánar tíðni er allt að fjórfalt hærri eftir lungnabrottnám en blaðnám (3,2-12%)7. Hér á landi hefur 30 daga dánartíðni eftir lungnaaðgerðir vegna lungnakrabbameins verið lág, eða 4% eftir lungnabrottnám og <1% eftir blaðnám, sem er með því lægsta sem þekkist.7, 13

Skurðmeðferð á stigum IIIA og IV og við smáfrumukrabbameini

Við miðlæg lungnakrabbamein í efra lungnablaði er stundum hægt að beita svokölluðu erma­blaðnámi (sleeve­lobectomy) í stað lungnabrottnáms.14 Er þá auk hefðbundins blaðnáms fjarlægður bútur úr meginberkju og berkjuendarnir saumaðir saman (mynd 9-3).

9. Kafli - Skurðmeðferð 99

Við skurðtæk Pancoast­æxli er oft gefin bæði geisla­ og krabbameinslyfjameðferð fyrir blaðnám, enda sannað að slíkt bæti lífshorfur þeirra.15 Lungnakrabbamein sem vaxin eru út í brjóstvegg (mynd 9-4a) má í völdum tilfellum fjarlægja með blaðnámi og samtímis brottnámi á hluta brjóstveggjar.6 Svipað getur átt við um æxli vaxin í gollurshús eða þind og er þá notast við bót úr gerviefni eins og Gore­Tex® til að þekja götin (mynd 9-4b). Er þá stundum beitt geisla­ og eða lyfjameðferð fyrir aðgerð til að minnka þau (down­staging), en það er einnig stundum reynt við T4­æxli sem vaxin eru inn í miðmæti. Þetta er þó aðeins gert ef miðmætiseitlar eru án meinvarpa og getur þá fimm ára lifun náð allt að 30%, og enn hærra við skurðtæk T4­æxli.6

100 Lungnakrabbameinsbókin
9. Kafli - Skurðmeðferð 101
Mynd 9-3 Ermablaðnám við lungnakrabbameini í efra blaði hægra lunga.

Allt að þriðjungur sjúklinga sem greinast með lungnakrabbamein eru með meinvörp í miðmætiseitlum án fjarmeinvarpa. Þriðjungur þeirra er með eitilmeinvörp í miðmæti sömu megin og lungnaæxlið (N2­eitlar), og eru því á stigi IIIA.16 Ráðlögð meðferð hjá þessum sjúklingum er samtvinnuð geisla­ og lyfjameðferð, en í stöku tilfellum getur komið til greina að gera skurðaðgerð að undangenginni krabbameinslyfjaog geislameðferð (neoadjuvant therapy), aðallega við lítil og smásæ eitilmeinvörp í einni eitilstöð.6

Skurðaðgerð kemur næstum aldrei til greina hjá sjúklingum á stigi

IIIB, eða þeim með fjarmeinvörp (stigi IV).16 Á þessu eru þó til undantekningar, t.d. hjá ungum og annars hraustum einstaklingum á stigi

IV með stakt meinvarp í heila eða nýrnahettu.16, 17 Meinvarpið er þá fjarlægt fyrst og síðan æxlið í lunganu í annarri aðgerð.

Skurðaðgerð á nær aldrei við hjá sjúklingum með smáfrumukrabbamein, enda langflestir þeirra með útbreiddan sjúkdóm. Einstaka sjúklingar (<5%) greinast þó með staðbundið skurðtækt smáfrumukrabbamein, þar sem fimm ára lifun er á bilinu 13-44%.18

102 Lungnakrabbameinsbókin
9. Kafli - Skurðmeðferð 103
Mynd 9-4 Lungnakrabbamein vaxið út í brjóstvegg (a) og Gore­Tex® bót notuð til að þekja gat á þind eftir brottnám á ífarandi lungnakrabbameini. a b

Heimildir

1. Silvestri GA, Gonzalez AV, Jantz MA, Margolis ML, Gould MK, Tanoue LT, et al. Methods for staging non-small cell lung cancer: Diagnosis and management of lung cancer, 3rd ed: American College of Chest Physicians evidence-based clinical practice guidelines. Chest 2013;143(5 Suppl):e211S-e250S.

2. Thorsteinsson H, Alexandersson A, Oskarsdottir GN, Skuladottir R, Isaksson HJ, Jonsson S, et al. Resection rate and outcome of pulmonary resections for non-small-cell lung cancer: a nationwide study from Iceland. J Thorac Oncol. 2012;7(7):1164-1169.

3. Ramnath N, Dilling TJ, Harris LJ, Kim AW, Michaud GC, Balekian AA, et al. Treatment of stage III non-small cell lung cancer: Diagnosis and management of lung cancer, 3rd ed: American College of Chest Physicians evidence-based clinical practice guidelines. Chest. 2013;143(5 Suppl):e314S-e340S.

4. Oskarsdottir GN, Halldorsson H, Sigurdsson MI, Fridriksson BM, Baldvinsson K, Orrason AW, et al. Lobectomy for non-small cell lung carcinoma: a nationwide study of short- and long-term survival. Acta Oncol. 2017;56(7):936-942.

5. Whitson BA, Groth SS, Maddaus MA. Surgical assessment and intraoperative management of mediastinal lymph nodes in non-small cell lung cancer. Ann Thorac Surg. 2007;84(3):10591065.

6. Detterbeck FC, Lewis SZ, Diekemper R, Addrizzo-Harris D, Alberts WM. Executive Summary: Diagnosis and management of lung cancer, 3rd ed: American College of Chest Physicians evidence-based clinical practice guidelines. Chest. 2013;143(5 Suppl):7s-37s.

7. Halldorsson H, Orrason AW, Oskarsdottir GN, Petursdottir A, Fridriksson BM, Magnusson MK, et al. Improved long-term survival following pulmonary resections for non-small cell lung cancer: results of a nationwide study from Iceland. Ann Transl Med. 2019;7(5):88.

8. Ginsberg RJ, Rubinstein LV. Randomized trial of lobectomy versus limited resection for T1 N0 non-small cell lung cancer. Lung Cancer Study Group. Ann Thorac Surg. 1995;60(3):615-622; discussion 622-613.

9. Thorsteinsson H, Jonsson S, Alfredsson H, Isaksson HJ, Gudbjartsson T. [Results of pneumonectomy for non-small cell lung cancer in Iceland]. Laeknabladid. 2009;95(12):823829.

104 Lungnakrabbameinsbókin

10. Gudbjartsson T, Gyllstedt E, Pikwer A, Jönsson P. Early surgical results after pneumonectomy for non-small cell lung cancer are not affected by preoperative radiotherapy and chemotherapy. Ann Thorac Surg. 2008;86(2):376-382.

11. Hansen HJ, Petersen RH, Christensen M. Video-assisted thoracoscopic surgery (VATS) lobectomy using a standardized anterior approach. Surg Endosc. 2011;25(4):1263-1269.

12. Wang Z, Pang L, Tang J, Cheng J, Chen N, Zhou J, et al. Video-assisted thoracoscopic surgery versus muscle-sparing thoracotomy for non-small cell lung cancer: a systematic review and meta-analysis. BMC Surg. 2019;19(1):144.

13. Oskarsdottir GN, Bjornsson J, Jonsson S, Isaksson HJ, Gudbjartsson T. Primary adenocarcinoma of the lung--histological subtypes and outcome after surgery, using the IASLC/ ATS/ERS classification of lung adenocarcinoma. Apmis. 2016;124(5):384-392.

14. Andersson SE, Rauma VH, Sihvo EI, Räsänen JV, Ilonen IK, Salo JA. Bronchial sleeve resection or pneumonectomy for non-small cell lung cancer: a propensity-matched analysis of long-term results, survival and quality of life. J Thorac Dis. 2015;7(10):1742-1748.

15. Fridriksson BM, Jónsson S, Oskarsdottir GN, Orrason AW, Ísaksson HJ, Gudbjartsson T. [Outcome of surgical treatment for Pancoast lung carcinoma in Iceland]. Laeknabladid 2015;101(7-8):351-355.

16. Goldstraw P, Chansky K, Crowley J, Rami-Porta R, Asamura H, Eberhardt WE, et al. The IASLC Lung Cancer Staging Project: Proposals for Revision of the TNM Stage Groupings in the Forthcoming (Eighth) Edition of the TNM Classification for Lung Cancer. J Thorac Oncol 2016;11(1):39-51.

17. Pfannschmidt J, Dienemann H. Surgical treatment of oligometastatic non-small cell lung cancer. Lung Cancer. 2010;69(3):251-258.

18. Fruh M, De Ruysscher D, Popat S, Crino L, Peters S, Felip E. Small-cell lung cancer (SCLC): ESMO Clinical Practice Guidelines for diagnosis, treatment and follow-up. Annals of oncology : official journal of the European Society for Medical Oncology / ESMO. 2013;24 Suppl 6:vi99-105.

9. Kafli - Skurðmeðferð 105

10. Kafli

Undirbúningur sjúklinga fyrir skurðaðgerð

Guðrún Nína Óskarsdóttir og Tómas Guðbjartsson

Sjúklingar með lungnakrabbamein eru í mörgum tilvikum með aðra sjúkdóma sem geta aukið verulega fylgikvilla og dánartíðni eftir lungnaskurðaðgerð.1 Þar ber helst að nefna aðra reykingatengda sjúkdóma, en næstum 85% sjúklinga sem fá lungnakrabbamein reykja eða hafa áður reykt. Í þessum hópi eru hjarta­ og æðasjúkdómar, sérstaklega kransæðasjúkdómur og hjartabilun,2 en einnig aðrir reykingatengdir lungnasjúkdómar eins og langvinn lungnaþemba og berkjubólga.3 Aldur og almennt líkamlegt ástand skipta einnig máli og eru mikilvægir þættir til að meta heildarmyndina fyrir aðgerð.

Til að meta hvort sjúklingur þoli aðgerð á lungunum er öndunarmæling lykilrannsókn (mynd 10-1), sérstaklega FEV1 (forced expiratory volume in 1 second) mæling og loftdreifipróf (diffusing capacity of carbon monoxide, DLCO) .

106 Lungnakrabbameinsbókin

Tafla 10-1

Helstu rannsóknir sem gerðar eru í undirbúningi fyrir skurðaðgerð vegna lungnakrabbameins.

ALLTAF Í VÖLDUM TILVIKUM

Öndunarmæling með loftdreifiprófi Áreynslupróf með eða án mælingar á hámarkssúrefnisupptöku (VO2max)

Röntgenmynd af lungum Loftflæðis­ og blóðflæðisskann

Hjartalínurit Ómskoðun af hjarta

Blóðrannsóknir Blóðgös

10. Kafli - Undirbúningur sjúklinga fyrir skurðaðgerð 107

Mynd 10-1

Öndunarmæling með loftdreifiprófi á Landspítala.

Mynd: Þorkell Þorkelsson.

108 Lungnakrabbameinsbókin

inspiratory reserve volume (IRV)

vital capacity (VC)

tidal volume (TV)

exspiratory reserve volume (IRV)

residual volume (RV)

Mynd 10-2 Eðlileg öndunarkúrfa við öndunarmælingu.
10. Kafli - Undirbúningur sjúklinga fyrir skurðaðgerð 109

FEV1 mælir rúmmálið sem sjúklingurinn andar kröftuglega út á einni sekúndu (mynd 10-2), og loftdreifipróf mælir hversu auðveldlega súrefni flyst úr lungnablöðrunum yfir í blóðið. Reynist þessar mælingar innan eðlilegra marka má gera ráð fyrir því að sjúklingur þoli blaðnám, og jafnvel lungnabrottnám, en ef til slíkrar aðgerðar gæti komið er einnig mæld hámarkssúrefnisupptaka fyrir aðgerð og gerð hjartaómun til að útiloka lungnaháþrýsting. Ekki er hægt að styðjast við ákveðin lágmarksviðmiðunargildi á öndunarmælingu til að meta hvort sjúklingur þoli aðgerð án öndunarbilunar eftir aðgerð, og er matið ávallt einstaklingsbundið. Hins vegar er öndunarbilun sjaldgæf ef FEV1­gildi er >30% af viðmiðunargildi (oft í kringum 1 L/ min) og sjúklingur með FEV1 yfir 40% af viðmiðunargildi fyrir aðgerð (oft i kringum 1,5 L/mín) á að þola blaðnám, og yfir 75-80% (oft í kringum 2 L/mín) lungnabrottnám.4,5

Ef gildi á öndunarmælingu eru verulega skert er oft gripið til nákvæmari mælinga eins og hámarkssúrefnisupptöku (VO2 max) og jafnvel loftflæðis­ og blóðflæðisskanns (ventilation­perfusion (V/Q) scanning). Með þessum aðferðum er hægt að reikna út áætluð öndunargildi eftir aðgerð, og þannig reyna að spá fyrir um hversu mikil áhrif aðgerðarinnar verða á öndunarstarfsemi.4 Þannig er aðgerð talin áhættusöm ef hámarkssúrefnisupptaka við áreynslu (VO2max) er <10 ml/kg/mín4 en gildi >20 ml/kg/mín ættu að leyfa lungnabrottnám. Hjá sjúklingum sem eru með gildi á bilinu 10-20 ml/ kg/mín er svokallað VE/VCO2 hlutfall metið, en það má mæla um leið og VO2 max gildið.4,5

110 Lungnakrabbameinsbókin

Heimildir

1. Leduc C, Antoni D, Charloux A, Falcoz PE, Quoix E. Comorbidities in the management of patients with lung cancer. European Respiratory Journal. 2017 Mar 1;49(3).

2. Balata H, Blandin Knight S, Barber P, Colligan D, Crosbie EJ, Duerden R, et al. Targeted lung cancer screening selects individuals at high risk of cardiovascular disease. Lung Cancer 2018;124.

3. Wang W, Dou S, Dong W, Xie M, Cui L, Zheng C, et al. Impact of COPD on prognosis of lung cancer: From a perspective on disease heterogeneity. International Journal of COPD. 2018;13.

4. Postmus PE, Kerr KM, Oudkerk M, Senan S, Waller DA, Vansteenkiste J, et al. Early and locally advanced non-small-cell lung cancer (NSCLC): ESMO Clinical Practice Guidelines for diagnosis, treatment and follow-up. Annals of Oncology. 2017;28:iv1–21.

5. NICE Guidelines. Lung cancer : diagnosis and management NICE guideline [Internet]. 2019. Available from: www.nice.org.uk/guidance/ng122

10. Kafli - Undirbúningur sjúklinga fyrir skurðaðgerð 111

11. Kafli

Geislameðferð

Vaka Ýr Sævarsdóttir

Eins og sést í töflu 9-1 er geislameðferð við lungnakrabbameini beitt bæði í læknandi og líknandi tilgangi, gefin ein sér eða samhliða lyfjameðferð. Við læknandi meðferð er markmiðið að ná háum geislaskammti á æxli í lunganu ásamt eitlameinvörpum í miðmæti. Um leið er reynt er að takmarka geislaskammt á nálæg líffæri, eins og mænu, vélinda, hjarta og aðra hluta lungans. Þannig er reynt að fækka fylgikvillum eins og geislalungnabólgu og vélindabólgu sem sjást í allt að 15-40% tilfella eftir geislameðferð.1 Með nýjustu geislatækjum (mynd 11-1) er hægt að hlífa heilbrigðum vef betur án þess að draga úr geislun á æxli. Vega þar þyngst sneiðmyndir þar sem hannað er þrívíddarlíkan af æxlinu og nálægum líffærum, en einnig markvissari geislaskömmtun (dosimetry) og geislameðferð gefin í þrívídd (VMAT)2 (mynd 11-2).

Á síðasta áratug hefur hnitstýrð geislameðferð (stereotactic body radiotherapy, SBRT) rutt sér til rúms við læknandi geislameðferð við æxlum í lunga, meðal annars við lungnakrabbameini. Þá er geislum beint á æxlið með mun hærri skammti og færri skiptum en við hefðbundna geislameðferð, oft 22 Gy í senn í þrjú skipti. Hnitstýrð geislameðferð krefst mikillar nákvæmni í staðsetningu sjúklings, myndstýringu og myndvinnslu, ekki síst þar sem gera verður ráð fyrir áhrifum öndunarhreyfinga á staðsetningu æxlisins.3 Vonir standa til að hnitstýrð geislameðferð verði tekin upp á Landspítala á næstu misserum.

112 Lungnakrabbameinsbókin

Geislameðferð á Landspítala.

Mynd: Þorkell Þorkelsson.

11. Kafli - Geislameðferð 113
Mynd 11-1

Læknandi geislameðferð

Lungnakrabbamein önnur en smáfrumukrabbamein Við óskurðtæk lungnakrabbamein á stigi III er oftast gefin hefðbundin geislameðferð daglega fimm daga vikunnar, oftast 2 Gy í senn þar til að 60-66 Gy heildarskammti hefur verið náð.4 Samhliða geislameðferðinni er gefin meðferð með krabbameinslyfjum.4 Meðferðarsvæðið er æxlið sjálft ásamt þeim eitlum sem sterkur grunur er um að innihaldi meinvörp á jáeindaskanna og við berkjuómspeglun.5

Sjúklingar með æxli á stigi I og II sem ekki er treyst í skurðaðgerð er hægt að meðhöndla með læknandi hnitmiðaðri geislameðferð.6, 7 Ekki liggja fyrir slembaðar rannsóknir þar sem árangur er borinn saman við skurðaðgerð, en rannsóknir hafa sýnt fram á allt að 41% fimm ára lífshorfur,7 jafnvel þótt geislameðferðarhópurinn sé eldri og með fleiri langvinna sjúkdóma en þeir sem gengust undir skurðaðgerð.8 Geislameðferð á undan skurðaðgerð getur komið til greina í sérvöldum tilvikum sjúklinga með stig lllA sjúkdóm,9 en geislameðferð eftir skurðaðgerð, eins og hjá þeim sem eru með æxli í skurðbrúnum, er ekki lengur beitt, enda er lifun verri eftir slíka meðferð.10

114 Lungnakrabbameinsbókin

Hnitstýrð geislameðferð. Með sérhæfðum tölvubúnaði er hægt að gera meðferðina markvissari og hlífa þannig betur nálægum líffærum.

11. Kafli - Geislameðferð 115
Mynd 11-2

Smáfrumukrabbamein

Smáfrumukrabbamein sem bundið er við annan helming brjósthols er alla jafna meðhöndlað með krabbameinslyfjum og geislameðferð samhliða í læknandi skyni.11 Geislaskammtar eru sambærilegir og fyrir önnur lungnakrabbamein, en oft eru gefnar tvær meðferðir daglega á skemmra tímabili. Ef svörun við upphafsmeðferð er góð fæst oft betri lifun með því að gefa fyrirbyggjandi geislameðferð á heilavef í kjölfarið.11

Líknandi geislameðferð

Líknandi geislameðferð er beitt þegar lækningu við lungnakrabbameini verður ekki komið við, og þá oftast vegna einkenna frá meinvörpum eða frumæxli. Geislaskammtur og lengd meðferðar veltur á almennu ástandi sjúklings, einkennum og staðsetningu æxlis, allt frá stakri meðferð í að allt að tíu skipti.12

116 Lungnakrabbameinsbókin

Heimildir

1. Baker S, Fairchild A. Radiation-induced esophagitis in lung cancer. Lung Cancer (Auckl) 2016;7:119-127.

2. Jiang X, Li T, Liu Y, Zhou L, Xu Y, Zhou X, et al. Planning analysis for locally advanced lung cancer: dosimetric and efficiency comparisons between intensity-modulated radiotherapy (IMRT), single-arc/partial-arc volumetric modulated arc therapy (SA/PA-VMAT). Radiat Oncol. 2011;6:140.

3. Giraud P, Morvan E, Claude L, Mornex F, Le Pechoux C, Bachaud JM, et al. Respiratory gating techniques for optimization of lung cancer radiotherapy. J Thorac Oncol 2011;6(12):2058-2068.

4. Spira A, Ettinger DS. Multidisciplinary management of lung cancer. N Engl J Med 2004;350(4):379-392.

5. Emami B, Mirkovic N, Scott C, Byhardt R, Graham MV, James Andras E, et al. The impact of regional nodal radiotherapy (dose/volume) on regional progression and survival in unresectable non-small cell lung cancer: an analysis of RTOG data. Lung Cancer. 2003;41(2):207214.

6. Detillon D, Driessen EJM, Aarts MJ, Janssen-Heijnen MLG, van Eijck CHJ, Veen EJ. Changes in treatment patterns and survival in elderly patients with stage I non-small-cell lung cancer with the introduction of stereotactic body radiotherapy and video-assisted thoracic surgery. Eur J Cancer. 2018;101:30-37.

7. Rowell NP, Williams CJ. Radical radiotherapy for stage I/II non-small cell lung cancer in patients not sufficiently fit for or declining surgery (medically inoperable): a systematic review. Thorax. 2001;56(8):628-638.

8. Zheng X, Schipper M, Kidwell K, Lin J, Reddy R, Ren Y, et al. Survival outcome after stereotactic body radiation therapy and surgery for stage I non-small cell lung cancer: a meta-analysis. Int J Radiat Oncol Biol Phys. 2014;90(3):603-611.

9. Robinson LA, Ruckdeschel JC, Wagner H, Jr., Stevens CW. Treatment of non-small cell lung cancer-stage IIIA: ACCP evidence-based clinical practice guidelines (2nd edition). Chest 2007;132(3 Suppl):243s-265s.

10. Bogart JA, Aronowitz JN. Localized non-small cell lung cancer: adjuvant radiotherapy in the era of effective systemic therapy. Clin Cancer Res. 2005;11(13 Pt 2):5004s-5010s.

11. Simon GR, Turrisi A. Management of small cell lung cancer: ACCP evidence-based clinical practice guidelines (2nd edition). Chest. 2007;132(3 Suppl):324s-339s.

12. Rodrigues G, Videtic GM, Sur R, Bezjak A, Bradley J, Hahn CA, et al. Palliative thoracic radiotherapy in lung cancer: An American Society for Radiation Oncology evidence-based clinical practice guideline. Pract Radiat Oncol. 2011;1(2):60-71.

11. Kafli - Geislameðferð 117

12. Kafli

Lyfjameðferð

Agnes Smáradóttir og Örvar Gunnarsson

Þessari meðferð er oft skipt í tvennt eftir því hvort um er að ræða smáfrumukrabbamein eða önnur lungnakrabbamein. Fyrir sjaldgæfa undirgerð lungnakrabbameins, stórfrumukrabbamein, er meðferð í stórum dráttum svipuð meðferð smáfrumukrabbameins.

LUNGNAKRABBAMEIN SEM EKKI ER AF SMÁFRUMUGERÐ

Eins og sést í töflu 9-1 í kafla 9 er lyfjameðferð aðallega beitt á stigi IV, en líka stigum IIIA, IIIB og sem viðbótarmeðferð eftir skurðaðgerð á stigum IIA og IIB. Lyfjameðferð hefur fleygt fram síðustu ár með tilkomu lyfja sem bætt hafa árangur meðferðar. Þetta á ekki síst við um sértæk lyf sem beint er gegn ákveðnum meinvaldandi stökkbreytingum og eru aðallega gefin sem töflur, ólíkt ósér tækari lyfjum við krabbameini án þekktra stökkbreytinga sem gefin eru í æð. Ósértæku lyfin geta þó haft góða virkni á krabbamein með þekkta stökkbreytingu (undantekning hér er ónæmisörvandi meðferð), en sértæku lyfin virka aðeins á krabbamein með meinvaldandi stökkbreytingu.

118 Lungnakrabbameinsbókin

Sértæk lyfjameðferð

Krabbamein með þekkta stökkbreytingu eru nánast alltaf af kirtilmyndandi gerð og greinast oftar hjá konum, yngra fólki og þeim sem ekki hafa reykt.1,2 Sé stökkbreyting til staðar felst fyrsta meðferð oftast í gjöf sértæks lyfs gegn þeirri stökkbreytingu. Þessi lyf þolast almennt mjög vel en geta haft sértækar aukaverkanir eins og húðútbrot og hægðabreytingar, eða valdið bólgu í líffærum og þá helst í lifur eða lungum.3,4

Ósértæk lyfjameðferð

Þessum lyfjum má skipta annars vegar í hefðbundin krabbameinslyf og nýrri krabbameinslyf sem örva ónæmiskerfi einstaklingsins. Þau hefðbundnu hefta skiptingu krabbameinsfruma, og eru oft með fyrirsjáanlegar aukaverkanir eins og ógleði/lystarleysi, slappleika, hárlos, niðurgang og lækkun á hvítum blóðkornum og/eða blóðflögum. Ónæmisörvandi lyfin hjálpa ónæmiskerfinu að þekkja krabbameinsfrumur sem framandi. Hægt er að mæla próteinið PDL1 á yfirborði lungnakrabbameinsfruma sem getur sagt til um meðferðarsvörun, en svörunin er almennt betri eftir því sem meira mælist af próteininu.5 Aukaverkanir ónæmishvetjandi lyfja eru almennt vægari en hefðbundinna krabbameinslyfja, en þau geta þó valdið bólgu í nánast hvaða líffæri sem er, auk þess sem aðrar líkamsfrumur geta einnig orðið fyrir áhrifum þeirra. Af sömu ástæðu getur verið varhugavert að beita slíkri meðferð hjá sjúklingum með þekkta sjálfsofnæmissjúkdóma, en það er þó gert í í völdum tilvikum.5,6

12. Kafli - Lyfjameðferð 119

Meðferð við sjúkdómi á stigi II

Hjá sjúklingum sem reynast vera með sjúkdóm á stigi II eftir lungnaskurðaðgerð er oft mælt með krabbameinslyfjameðferð (adjuvant chemotherapy) til að minnka líkur á að krabbameinið taki sig upp.7

Yfirleitt eru gefin saman lyfin cisplatín og vinorelbín yfir 12 vikna tímabil, og eru aukaverkanir meðal annars ógleði, hárlos, heyrnarskerðing, skert nýrnastarfsemi og doði í fingrum og tám.7-9

Meðferð við sjúkdómi á stigi III

Hjá þessum sjúklingum kemur skurðaðgerð oftast ekki til greina og er þá reynd læknandi samtvinnuð lyfja­ og geislameðferð. Gefin er geislameðferð daglega alla virka daga í sex vikur og á sama tíma vikulega lyfjameðferð með carboplatín og paclitaxel. Sömu lyf eru síðan oft gefin í stærri skömmtum tvisvar sinnum, til dæmis 3-4 vikum fyrir upphaf geislameðferðar eða í lok hennar.10

Meðferð á lungnakrabbameini með meinvörpum (á stigi IV)

Meðferð þessa stóra sjúklingahóps er oftast skipt eftir vefjagerð æxlisins.

120 Lungnakrabbameinsbókin

Kirtilmyndandi krabbamein

Krabbamein án meinvaldandi stökkbreytinga

Flest kirtilmyndandi lungnakrabbamein tilheyra þessum flokki og eru meðhöndluð með ósértækum krabbameinslyfjum eins og carboplatín, pemetrexed, paclitaxel/docetaxel, gemcitabín og vinorelbín; allt lyf sem hafa mismunandi verkunarmáta og aukaverkanir. Af óhefðbundnu ónæmisörvandi lyfjunum má nefna pembrolizumab, nivolumab, atezolizumab og durvalumab, sem öll hafa svipaða verkun og aukaverkanir. Ef heilsa sjúklings leyfir er upphafslyfjameðferð oftast gefin sem samsett meðferð, t.d. með hefðbundnum krabbameinslyfjum eins og carboplatín og pemetrexed, og jafnvel með óhefðbundnu krabbameinslyfi eins og pembrolizumab.11 Meðferðin er gefin í æð á þriggja vikna fresti, í allt að fjögur til sex skipti. Ef meðferðarsvörun er góð tekur við viðhaldsmeðferð með t.d. pemetrexed, pembrolizumab, eða báðum lyfjum saman.11 Ef krabbameinið svarar illa meðferð er á seinni stigum hægt að nota hefðbundnu krabbameinslyfin sem nefnd voru áður eins og carboplatín og pemetrexed.

12. Kafli - Lyfjameðferð 121

Krabbamein þar sem meinvaldandi stökkbreytingar eru til staðar Sífellt fleiri lyf í þessum flokki (tafla 7-2) eru í þróun við þekktum stökkbreytingum sem að öllum líkindum mun leiða til bættra horfa þessara sjúklinga.3,4,12-18 Ef um er að ræða EGFR stökkbreytingu, sem er algengust, er notast við svokallaða EGFR hemla eins og erlotiníb, eða osimertiníb. Við ALK stökkbreytingu er beitt alectiníb, en fleiri lyf koma til greina, og við ROS1 stökkbreytingu crizotiníb eða entrectiníb. BRAF­hemlum eins og vemurafeníb/dabrafeníb og mekinist er beitt hjá sjúklingum með BRAF stökkbreytingu og bæta þeir meðferðarsvörun.14 Við RET stökkbreytingu kemur cabozantiníb til greina, en það má einnig nota við MET stökkbreytingum ásamt crizotiníb. Við HER2 stökkbreytingu er oftast notað trastuzumab, og þá í æð ásamt ósértækum krabbameinslyfjum.16 Nýjasti meðferðarmöguleikinn eru lyfin larotrectiníb og entrectiníb hjá sjúklingum með NTRK stökkbreytingu.18

Flöguþekjukrabbamein

Lyfjameðferð flöguþekjukrabbameins er að flestu leyti svipuð þeirri sem gefin er við kirtilmyndandi lungnakrabbameini. Flöguþekjukrabbamein mælast þó nánast aldrei með meinvaldandi stökkbreytingar sem

122 Lungnakrabbameinsbókin

hægt er að nýta fyrir sértæka lyfjameðferð líkt og beitt er í vaxandi mæli við kirtilfrumukrabbameini.19 Pemetrexed virkar heldur ekki við flöguþekjukrabbameini, en það gera önnur ósérhæfð krabbameinslyf líkt og fyrir kirtilfrumukrabbamein.19

LUNGNAKRABBAMEIN SEM ER AF SMÁFRUMUGERÐ

Smáfrumukrabbamein eru iðulega hratt vaxandi og hafa næstum alltaf dreift sér út fyrir lungað við greiningu. Skurðaðgerð kemur því næstum aldrei til greina (sjá áður). Smáfrumukrabbameinum er skipt upp í annars vegar staðbundinn sjúkdóm, þar sem sjúkdómurinn er bundinn við brjóstholið og fjarmeinvörp ekki sjánleg, og hins vegar dreifðan sjúkdóm þegar fjarmeinvörp eru til staðar. Við staðbundinn sjúkdóm er gefin samtvinnuð lyfja­ og geislameðferð, og er lyfjameðferð hafin eins fljótt og hægt er eftir greiningu.20 Geislameðferð er gefin þegar mögulegt er að koma meininu fyrir á einum geislameðferðarreit, og er gefin þegar nokkrar vikur eru liðnar á lyfjameðferðina. Lyfin sem notuð eru í upphafi eru cisplatín og etoposíd í staðbundnum sjúkdómi,21 en carboplatín og etoposíd ef hann er dreifður.22 Lyfin eru gefin í æð á þriggja vikna fresti, allt að 4-6 sinnum. Ef meðferðarsvörun helst eftir að lyfjameðferð er lokið kemur til greina að gefa geislameðferð á heilann til að minnka líkur á að sjúkdómurinn taki sig upp þar.

12. Kafli - Lyfjameðferð 123

Heimildir

1. Rodig SJ, Mino-Kenudson M, Dacic S, Yeap BY, Shaw A, Barletta JA, et al. Unique clinicopathologic features characterize ALK-rearranged lung adenocarcinoma in the western population. Clin Cancer Res. 2009;15(16):5216-5223.

2. Shaw AT, Yeap BY, Mino-Kenudson M, Digumarthy SR, Costa DB, Heist RS, et al. Clinical features and outcome of patients with non-small-cell lung cancer who harbor EML4-ALK. J Clin Oncol. 2009;27(26):4247-4253.

3. Ramalingam SS, Vansteenkiste J, Planchard D, Cho BC, Gray JE, Ohe Y, et al. Overall Survival with Osimertinib in Untreated, EGFR-Mutated Advanced NSCLC. N Engl J Med 2020;382(1):41-50.

4. Yang JC, Ou SI, De Petris L, Gadgeel S, Gandhi L, Kim DW, et al. Pooled Systemic Efficacy and Safety Data from the Pivotal Phase II Studies (NP28673 and NP28761) of Alectinib in ALK-positive Non-Small Cell Lung Cancer. J Thorac Oncol. 2017;12(10):1552-1560.

5. Reck M, Rodríguez-Abreu D, Robinson AG, Hui R, Csőszi T, Fülöp A, et al. Pembrolizumab versus Chemotherapy for PD-L1-Positive Non-Small-Cell Lung Cancer. N Engl J Med 2016;375(19):1823-1833.

6. Mok TSK, Wu YL, Kudaba I, Kowalski DM, Cho BC, Turna HZ, et al. Pembrolizumab versus chemotherapy for previously untreated, PD-L1-expressing, locally advanced or metastatic non-small-cell lung cancer (KEYNOTE-042): a randomised, open-label, controlled, phase 3 trial. Lancet. 2019;393(10183):1819-1830.

7. Pignon JP, Tribodet H, Scagliotti GV, Douillard JY, Shepherd FA, Stephens RJ, et al. Lung adjuvant cisplatin evaluation: a pooled analysis by the LACE Collaborative Group. J Clin Oncol. 2008;26(21):3552-3559.

8. Arriagada R, Bergman B, Dunant A, Le Chevalier T, Pignon JP, Vansteenkiste J. Cisplatinbased adjuvant chemotherapy in patients with completely resected non-small-cell lung cancer. N Engl J Med. 2004;350(4):351-360.

9. Glendenning JL, Barbachano Y, Norman AR, Dearnaley DP, Horwich A, Huddart RA. Longterm neurologic and peripheral vascular toxicity after chemotherapy treatment of testicular cancer. Cancer. 2010;116(10):2322-2331.

10. Belani CP, Choy H, Bonomi P, Scott C, Travis P, Haluschak J, et al. Combined chemoradiotherapy regimens of paclitaxel and carboplatin for locally advanced non-smallcell lung cancer: a randomized phase II locally advanced multi-modality protocol. J Clin Oncol. 2005;23(25):5883-5891.

11. Gandhi L, Rodríguez-Abreu D, Gadgeel S, Esteban E, Felip E, De Angelis F, et al. Pembrolizumab plus Chemotherapy in Metastatic Non-Small-Cell Lung Cancer. N Engl J Med. 2018;378(22):2078-2092.

124 Lungnakrabbameinsbókin

12. Shaw AT, Ou SH, Bang YJ, Camidge DR, Solomon BJ, Salgia R, et al. Crizotinib in ROS1rearranged non-small-cell lung cancer. N Engl J Med. 2014;371(21):1963-1971.

13. Drilon A, Siena S, Dziadziuszko R, Barlesi F, Krebs MG, Shaw AT, et al. Entrectinib in ROS1 fusion-positive non-small-cell lung cancer: integrated analysis of three phase 1-2 trials. Lancet Oncol. 2020;21(2):261-270.

14. Planchard D, Besse B, Groen HJM, Souquet PJ, Quoix E, Baik CS, et al. Dabrafenib plus trametinib in patients with previously treated BRAF(V600E)-mutant metastatic non-small cell lung cancer: an open-label, multicentre phase 2 trial. Lancet Oncol. 2016;17(7):984-993.

15. Drilon A, Rekhtman N, Arcila M, Wang L, Ni A, Albano M, et al. Cabozantinib in patients with advanced RET-rearranged non-small-cell lung cancer: an open-label, single-centre, phase 2, single-arm trial. Lancet Oncol. 2016;17(12):1653-1660.

16. Mazières J, Barlesi F, Filleron T, Besse B, Monnet I, Beau-Faller M, et al. Lung cancer patients with HER2 mutations treated with chemotherapy and HER2-targeted drugs: results from the European EUHER2 cohort. Ann Oncol. 2016;27(2):281-286.

17. Hong DS, DuBois SG, Kummar S, Farago AF, Albert CM, Rohrberg KS, et al. Larotrectinib in patients with TRK fusion-positive solid tumours: a pooled analysis of three phase 1/2 clinical trials. Lancet Oncol. 2020;21(4):531-540.

18. Doebele RC, Drilon A, Paz-Ares L, Siena S, Shaw AT, Farago AF, et al. Entrectinib in patients with advanced or metastatic NTRK fusion-positive solid tumours: integrated analysis of three phase 1-2 trials. Lancet Oncol. 2020;21(2):271-282.

19. Heist RS, Sequist LV, Engelman JA. Genetic changes in squamous cell lung cancer: a review. J Thorac Oncol. 2012;7(5):924-933.

20. Sundstrøm S, Bremnes RM, Kaasa S, Aasebø U, Hatlevoll R, Dahle R, et al. Cisplatin and etoposide regimen is superior to cyclophosphamide, epirubicin, and vincristine regimen in small-cell lung cancer: results from a randomized phase III trial with 5 years’ follow-up. J Clin Oncol. 2002;20(24):4665-4672.

21. Mascaux C, Paesmans M, Berghmans T, Branle F, Lafitte JJ, Lemaitre F, et al. A systematic review of the role of etoposide and cisplatin in the chemotherapy of small cell lung cancer with methodology assessment and meta-analysis. Lung Cancer. 2000;30(1):23-36.

22. Rossi A, Di Maio M, Chiodini P, Rudd RM, Okamoto H, Skarlos DV, et al. Carboplatin- or cisplatin-based chemotherapy in first-line treatment of small-cell lung cancer: the COCIS meta-analysis of individual patient data. J Clin Oncol. 2012;30(14):1692-1698.

12. Kafli - Lyfjameðferð 125

13. Kafli

Lífshorfur og forspárþættir

Sif Hansdóttir og Tómas Guðbjartsson

Stigun er sterkasti forspárþáttur lífshorfa fyrir sjúklinga með lungnakrabbamein, bæði smáfrumukrabbamein og önnur lungnakrabbamein. Aðrir mikilvægir forspárþættir lífshorfa eru frumugerð,1 innvöxtur í æðar og sogæðar,2 en einnig aldur, almennt ástand sjúklings (hrumleiki), þyngdar tap og starfsgeta.3 Nýlega hefur þekking á sameindaerfðaþáttum, eins og stökkbreytingum í EGFR, ALK, PDL1, ROS1 í æxlum sjúklinga, opnað fyrir nýja meðferðarmöguleika hjá sjúklingum með dreifðan sjúkdóm, og geta jafnvel spáð fyrir um lífshorfur.4, 5

Mikilvægasti forspárþáttur lífshorfa hjá sjúklingum með smáfrumukrabbamein er almennt líkamlegt ástand sjúklings, en þættir eins og hækkun á LDH í blóði hafa einnig áhrif.6 Einnig hafa rannsóknir sýnt að konur svari betur meðferð en karlar og hafi því betri lífshorfur.7

126 Lungnakrabbameinsbókin

Lifun

TNM -stig

Mánuðir

Mynd 13-1

Lífshorfur sjúklinga á mismunandi TNM stigum eftir lungnaskurðaðgerð vegna lungnakrabbameins á Íslandi 1991-2022.

13. Kafli - Lífshorfur og forspárþættir 127

Heimildir

1. Gail MH, Eagan RT, Feld R, Ginsberg R, Goodell B, Hill L, et al. Prognostic factors in patients with resected stage I non-small cell lung cancer. A report from the Lung Cancer Study Group. Cancer. 1984;54(9):1802-1813.

2. Kwiatkowski DJ, Harpole DH, Jr., Godleski J, Herndon JE, 2nd, Shieh DB, Richards W, et al. Molecular pathologic substaging in 244 stage I non-small-cell lung cancer patients: clinical implications. J Clin Oncol. 1998;16(7):2468-2477.

3. Pater JL, Loeb M. Nonanatomic prognostic factors in carcinoma of the lung: a multivariate analysis. Cancer. 1982;50(2):326-331.

4. Arbour KC, Riely GJ. Systemic Therapy for Locally Advanced and Metastatic Non-Small Cell Lung Cancer: A Review. Jama. 2019;322(8):764-774.

5. Howlader N, Forjaz G, Mooradian MJ, Meza R, Kong CY, Cronin KA, et al. The Effect of Advances in Lung-Cancer Treatment on Population Mortality. N Engl J Med 2020;383(7):640-649.

6. Lassen U, Osterlind K, Hansen M, Dombernowsky P, Bergman B, Hansen HH. Long-term survival in small-cell lung cancer: posttreatment characteristics in patients surviving 5 to 18+ years--an analysis of 1,714 consecutive patients. J Clin Oncol. 1995;13(5):1215-1220.

7. Singh S, Parulekar W, Murray N, Feld R, Evans WK, Tu D, et al. Influence of sex on toxicity and treatment outcome in small-cell lung cancer. J Clin Oncol. 2005;23(4):850-856.

128 Lungnakrabbameinsbókin
Lungnakrabbameinsbókin 129
Hér er QR­kóði til að hlaða bókinni niður á snjallsíma eða tölvu.

LUNGNAKRABBAMEIN

Fræðslurit fyrir heilbrigðisstarfsfólk og almenning

Lungnakrabbamein er enn risastórt vandamál í íslensku heilbrigðiskerfi líkt og annars staðar í heiminum, enda leggur það fleiri sjúklinga að velli en nokkurt annað krabbamein. Skiptir þar miklu hversu seint sjúklingarnir greinast og því vekja nýlegar rannsóknir af ávinningi skimunar með tölvusneiðmyndum von. Enn þyngra vegur þó sú staðreynd að reykingum hefur fækkað verulega hér á landi á síðustu árum, en þær valda allt að 85% lungnakrabbameins tilfella. Auk þess hafa á síðasta áratug orðið miklar framfarir í greiningu og meðferð sjúkdómsins. Þar vegur þyngst tilkoma nýrra líftækni- og krabbameinslyfja hjá sjúklingum með útbreiddan sjúkdóm. Notkun jáeindaskanna og ómsjárspeglana hérlendis hefur síðan bætt stigun miðmætiseitla umtalsvert. Loks hafa brjóstholsspeglunaraðgerðir gjörbreytt skurðmeðferð sjúklinga með staðbundinn sjúkdóm og framfarir í geislameðferð auðveldað meðferð þeirra sem ekki er treyst í aðgerð.

Tómas Guðbjartsson, ritstjóri

Turn static files into dynamic content formats.

Create a flipbook
Issuu converts static files into: digital portfolios, online yearbooks, online catalogs, digital photo albums and more. Sign up and create your flipbook.