Arcos de Movimiento Vol XXI No.1, Jun 2025

Page 1


Volumen XXI No. 1, JUN 2025

EN ESTA EDICIÓN:

•Reconocimiento a la trayectoria profesional de la Dra. Ana V. Cintrón

•Una alianza global: La Declaración de Hamburgo... Uniendo esfuerzos para la salud mundial

•El retorno a la actividad física, ejercicio y el deporte en el postparto

•Ejercicios en niños y jóvenes

•Rehabilitación cardíaca: del entorno agudo al ambulatorio

•Ejercicio físico en población adulta mayor

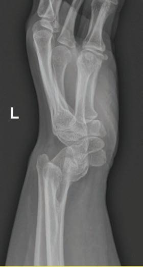
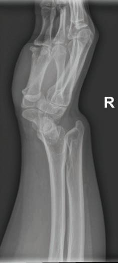
•Plexopatía braquial del cordón lateral luego de un reemplazo de válvula aórtica transcutáneo por vía trans-axilar izquierda

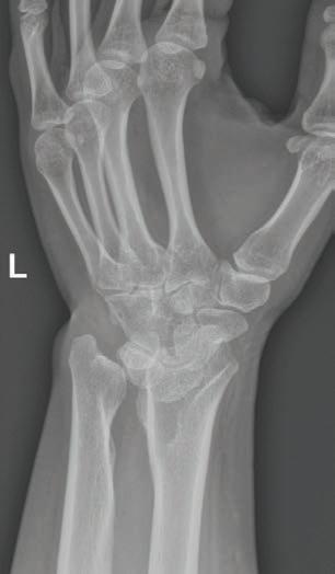
•Enfermedad rara de la placa de crecimiento radial en un adulto joven que responde a terapias ‘Deformidad de Madelung’: Informe de caso

•Qué pasa en lo académico: Recinto de Ciencias Médicas

•Qué pasa en lo académico: Hospital de Veteranos

•Residentes informan: Hospital de Veteranos

JUNTA

Eduardo Maldonado, MD, FAAPMR Presidente

Verónica Rodríguez, MD Secretaria

Marla Molinary, MD, FAAPMR Presidenta Electa

Carla Matos, MD Tesorera

Joanne González, MD Sub Tesorera

William Acevedo, MD, MBA, ABPMR Pasado Presidente

Josué Rivera, MD Vocal

Miguel Berríos, MD Vocal

Gerardo Miranda, MD, CAQSM Vocal

Reconocimiento a la trayectoria profesional de la Dra. Ana V. Cintrón........................................................................................6

Una alianza global: La Declaración de Hamburgo...Uniendo esfuerzos para la salud mundial............................................................10

El retorno a la actividad física, ejercicio y el deporte en el postparto.............................................................................................................13

Ejercicios en niños y jóvenes...................................................................17

Rehabilitación cardíaca: del entorno agudo al ambulatorio.......................................................................................................23

Ejercicio físico en población adulta mayor.....................................27

Plexopatía braquial del cordón lateral luego de un reemplazo de válvula aórtica transcutáneo por vía trans-axilar izquierda..................................................................................35

Enfermedad rara de la placa de crecimiento radial en un adulto joven que responde a terapias ‘Deformidad de Madelung’: Informe de caso.....................................................................37

Qué pasa en lo académico: Recinto de Ciencias Médicas........39

Qué pasa en lo académico: Hospital de Veteranos......................41

Editora:

Marla Y. Molinary Ruiz, MD, FAAPMR

Colaboradores:

David A. Soto Quijano, MD, FAAPMR, MSKr Ana V. Cintrón, MD, FAAPMR

Diseño gráfico, diagramación: Amarilys Irizarry Hernández

Fotografías:

Stock photos: Freepik, Unsplash, Pixabay, Amarilys Irizarry Hernández, Archivo Escuela de Medicina UPR

Dirección:

267 Calle Sierra Morena PMB 580 San Juan, Puerto Rico 00926-5583

Emails: asociacionfisiatras@gmail.com asocfisiatraspr@serrayserra.com

EsArco de Movimiento es una publicación de la Asociación Puertorriqueña de Medicina Física y Rehabilitación, Inc. La misma compila un contenido científico y cultural del cual se presume veracidad por lo que su junta no asume responsabilidad por errores y omisiones. Aceptamos publicar anuncios de clientes de buena reputación; aun así, no asume la responsabilidad de garantizar la autenticidad o calidad de los productos promocionados mediante dichos anuncios. No asumimos responsabilidad por material fotográfico o escrito enviado.

Marla Y. Molinary Ruiz, MD, FAAPMR Editora en Jefe

un honor presentarles nuestra edición de primavera 2025 de la revista Arco de Movimiento de la Asociación Puertorriqueña de Medicina Física y Rehabilitación. Nuestra intención en esta edición es presentar un repaso sobre el tema del ejercicio y la promoción de la actividad física, que es uno de los pilares de nuestro manejo como médicos rehabilitadores. Para a anzar nuestro conocimiento sobre el ejercicio, incluimos artículos sobre ejercicios en poblaciones especiales que se bene cian grandemente de mantener un estilo de vida activo: la población pediátrica, los adultos mayores, las personas en el periodo postparto y los pacientes con enfermedades cardiovasculares. Reconociendo que somos los especialistas idóneos para para promover un estilo de vida activo y saludable, enfatizamos la importancia de educar a nuestros pacientes de forma individualizada para ejercitarse de forma segura, e idealmente, placentera, aportando así a su calidad de vida y bienestar general. Agradecemos a todos los colegas que sacaron tiempo dentro de su ocupada agenda para contribuir sus artículos y compartir sus conocimientos.

De forma muy especial queremos hacer un reconocimiento a la trayectoria profesional de nuestra estimada colega la Dra. Ana V. Cintrón, en agradecimiento al ejemplo que nos ha brindado durante su brillante carrera en la Fisiatría y Medicina Deportiva y la forma en que nos inspira a seguir aprendiendo, desarrollándonos y evolucionando en esta nueva etapa de su vida profesional.

Quiero agradecer especialmente al Dr. Eduardo Maldonado, por su apoyo y oportunos consejos durante el proceso de edición de este número de la revista.

Cordialmente,

Por último, les recuerdo la celebración de nuestra convención anual en el Hotel El Conquistador durante los días del 19 al 22 de junio de 2025. Esperamos contar con su presencia y apoyo en esta actividad para la cual se ha organizado un interesantísimo programa académico, y en la que tendremos oportunidad de reconectar y compartir con nuestro colegas.

Marla Y. Molinary Ruiz, MD, FAAPMR Editora

Arco de Movimiento

Asociación Puertorriqueña de Medicina Física y Rehabilitación

Eduardo Maldonado, MD, FAAPMR Presidente

Estimados colegas:

LaAsociación Puertorriqueña de Medicina Física y Rehabilitación (APMFR) cordialmente les presenta esta nueva edición de Arco de Movimiento. En esta edición, nos enfocamos en el ejercicio en diferentes aspectos de la medicina. Le presentamos temas relacionados al ejercicio en pacientes con enfermedad cardiaca, bene cios del ejercicio en la población geriátrica, entre otros. Es de suma importancia mantenernos informados con evidencia cientí ca contundente; al igual que ser los portavoces protagónicos de dichos temas en nuestra comunidad.

Hemos tenido un término exitoso. Tuvimos el privilegio de compartir la edición previa de Arco de Movimiento, al igual el compartir durante el Journal Club en la Bodega de Méndez. Por otra parte, varios miembros han presentado preocupaciones a la Asociación acerca la práctica de la medicina por proveedores que no son médicos. Las mismas han sido evaluadas y algunas informadas al Colegio de Médicos.

Prontamente tendremos nuestra anticipada Convención en el Hotel El Conquistador. Hemos estado trabajando arduamente para proveerles un curso educacional de excelencia. De igual forma, nos orgullece informar que tendremos un Pre-curso abarcador de inyecciones, al igual que nuestra esta el sábado con temática de los 80. ¡Los esperamos a todos!

Respetuosamente,

Asociación Puertorriqueña de Medicina Física y Rehabilitación

Foto:

RECONOCIMIENTO

A LA TRAYECTORIA PROFESIONAL DE LA DRA. ANA V. CINTRÓN

La Dra. Ana V. Cintrón completó sus estudios universitarios en la UPR Recinto de Río Piedras, completando un bachillerato en Biología y su doctorado de Medicina en la Escuela de Medicina de la UPR, Recinto de Ciencias Médicas (RCM). Completó su internado en Medicina Interna en el Hospital San Lucas a liado a la Universidad de Washington en San Louis, Missouri, donde su amor por la rehabilitación se reforzó al estar expuesta a un programa sólido de Fisiatría. Regresó a Puerto Rico con el n de hacer su especialidad en Rehabilitación.

Su contacto con la rehabilitación comenzó estando en la escuela elemental, cuando escuchaba a diario comentarios de huesos, músculos y terapia de parte de su hermana Rosa y compañeros en su casa, al estar ella estudiando para un bachillerato combinado de Terapia Física y Ocupacional. De esa experiencia nunca olvidó donde quedaba la ¡fosa poplítea! Durante la escuela de medicina, Ana, compartía con su hermana Rosa las horas de almuerzo en el Hospital Pediátrico de Centro Médico, donde Rosa trabajó por muchos años como supervisora de Terapia Ocupacional y donde pudo presenciar la rehabilitación de niños con múltiples impedimentos físicos.

Al llegar a Puerto Rico fuera del tiempo de selección de residentes, escogió entrenar en

el Hospital de Veteranos donde no había plaza abierta, pero se le ofreció comenzar la residencia con la condición de hacerlo sin sueldo, a lo cual aceptó. Antes de pasar el primer año, pudo adquirir una plaza que quedó vacante. Cabe señalar que cuando comenzó su residencia, ya la Dra. Cintrón era madre de tres hijos pequeños: Roxanna, Samuel y Manuel. Comenta: “Lo logré gracias al apoyo de mis padres y del papá de mis hijos”.

Con menos de un año de haber completado la residencia, la Dra. Cintrón comenzó a dar apoyo médico voluntario a la Asociación de Atletismo Infantil y Juvenil (AAJI), y poco después comenzó a trabajar directamente con la Federación de Atletismo, tanto en el apoyo a sus atletas en competencias nacionales e internacionales, como en la parte

administrativa, siendo parte del Comité Ejecutivo por varios años, como miembro del Comité Técnico y como vicepresidenta para Asuntos Femeninos, trabajando en conjunto con el Departamento de Recreación y Deportes.

El 1990 marcó su primera experiencia en la organización de eventos deportivos, cuando fue nombrada por el Dr. Walter Frontera como directora médica del deporte de atletismo para los Juegos Centroamericanos y del Caribe, Ponce ’93. Para ese año, las Justas Interuniversitarias LAI sirvieron de taller para los Juegos, y al tener una cobertura médica organizada y efectiva de las Justas, la LAI le solicitó que proveyera la cobertura médica del próximo año, pero terminó dirigiendo esos servicios médicos por los próximos 24 años hasta el 2018. También dirigió los servicios médicos de las Justas de la UPR por varios años (1995-2001).

A través de los años la Dra. Cintrón organizó los servicios médicos de varios juegos nacionales e internacionales celebrados en Puerto Rico, incluyendo IX Juegos Centroamericanos y del Caribe Universitarios (1997San German), 1er y 2do Campeonato de Eventos Múltiples de Atletismo de NACAC (Norte América, Centro América y el Caribe) y organizado por la IAAF o “World

Athletics” (2005, 2007 – San Juan), los 1ros Juegos Centroamericanos y del Caribe Escolares (2007-Salinas), Co-Directora de los Juegos Mundiales de Atletismo Master (2003-Carolina), y de los XIX Juegos Iberoamericanos de Atletismo (2006-Ponce).

Todas estas experiencias sirvieron de taller para su posición más retante pero a la vez más grati cante, la de directora médica de los Juegos Centroamericanos y del Caribe, Mayagüez 2010. Durante esos juegos tuvo la satisfacción de ver a su hija Roxanna trabajar como parte del equipo médico del equipo de Puerto Rico, mientras entrenaba en su subespecialidad de Medicina Deportiva en el RCM. Con un total de 32 deportes, tres años de preparación y el reto de trabajar con dos comités organizadores diferentes, los Juegos y los servicios médicos cumplieron su propósito. Ese éxito se lo atribuye a los 900 voluntarios profesionales de la salud que dijeron presentes, la mayoría de los directores médicos siendo siatras de nuestra Asociación.

La Dra. Cintrón ha servido de médico de equipo o “team physician” para múltiples competencias internacionales tanto de atletismo como de todos los deportes, incluyendo Juegos CAC, Panamericanos, las

La Dra. Ana V. Cintrón junto a los residentes del programa de Fisiatría del Hospital de Veteranos.

Olimpiadas de Rio 2016, las Paralimpiadas de Tokio 2020 y las Paralimpiadas de Paris 2024. Trabajó con el equipo olímpico de Puerto Rico en su campamento preparatorio para las Olimpiadas de Londres 2012 en la ciudad de Canterbury, Inglaterra.

Una de las experiencias que más impacto hizo en su vida como médico de equipo fue la de ser uno de los dos médicos del Equipo de las Américas para la Copa Mundial de Atletismo, celebrado en Atenas en el 2006. A pesar de no tener atleta de Puerto Rico, fue escogida por la IAAF (“World Athletics”) por recomendación del Sr. Amadeo Francis (pasado vicepresidente de la IAAF), para ser la única representante de Puerto Rico, en un equipo que se componía de los mejores atletas de la región, incluyendo a los campeones Asafa Powell y Usain Bolt.

La Dra. Cintrón también ha estado activa en el aspecto educativo de la medicina del deporte, perteneciendo a la Comisión de Educación de la IAAF (1996-2002), con la cual trabajó como conferenciante y luego directora de un curso intensivo para médicos trabajando en el deporte de atletismo en las regiones de Centro y Sur América. Ha dado múltiples charlas a nivel internacional en temas relacionados a lesiones deportivas, rehabilitación, la mujer atleta, el deporte en los niños y el cuidado del atleta paralímpico.

La Dra. Cintrón ha sido miembro de la Federación de Medicina Deportiva de Puerto Rico desde 1991, sirviendo como presidenta del 2011-2015, actualmente sigue siendo parte del Comité Ejecutivo. Es miembro de la Asociación Puertorriqueña de Medicina Física y Rehabilitación (APMFR), de la Asociación de Fisiatras Académicos (AAP), y del Colegio Americano de Medicina Deportiva (ACSM). Es actual miembro de la Federación Internacional de Medicina Deportiva (FIMS) y parte de su Comité Ejecutivo desde 2018 como una de los dos representantes del Continente Americano, junto al Dr. Bill Roberts de los Estados Unidos. Actualmente es la presidenta de la Confederación Panamericana de Medicina Deportiva (desde 2023), después de servir como Secretaria General por cuatro años. Representando a estas organizaciones, ha sido conferenciante en cursos de “Team Physician” en Guatemala, Belice y Hong Kong. Desde enero del 2023 ha sido parte de la Junta Editora de la Revista Española Archivos de Medicina del Deporte, publicada por la Sociedad Española de Medicina del Deporte. Actualmente es autora y coautora de dos capítulos de un libro de médico del deporte, a publicarse pronto en el 2025 por la Federación Internacional de Medicina del Deporte. Fue contribuyente a la sección del periódico El Nuevo Día “Pregúntele al Experto” por año y medio hasta el 2012 en temas de medicina deportiva.

La Dra. Cintrón trabajó por siete años (hasta el 2001) como facultad del Departamento de Medicina Física, Rehabilitación y Salud Deportiva de la Universidad de Puerto Rico-RCM, donde actualmente continua ejerciendo como Catedrática Auxiliar. Trabajó durante 26 años como facultad en el Departamento de Medicina Física y Rehabilitación del Hospital de Veteranos, hasta nales del 2024, donde ejerció como directora del Programa de Residencia de Fisiatría del Hospital de Veteranos del 2006 al 2015, y directora del Programa de Cuidado de Pacientes Amputados del Hospital de Veteranos por más de 20 años, una de sus áreas de mayor experiencia. En esta nueva etapa profesional, continua activa como miembro del comité ejecutivo de la Federación Internacional de Medicina Deportiva (FIMS), presidenta de la Confederación Panamericana de Medicina Deportiva (desde 2023), y miembro de la Junta Editora de la Revista Española Archivos de Medicina del Deporte, así como en su faceta como autora y coautora en textos de medicina deportiva.

Dra. Ana Cintrón (Annie) ex presidenta de FEMEDE con la delegación de Puerto Rico en los juegos Paralímpicos en Tokio 2020. Foto: FB FEMEDE

Además de todos los logros profesionales de nuestra querida Ana, a través de su carrera ella se ha destacado por su amor a la academia y el voluntariado. Como mujer, perseveró en la profesión de la medicina en tiempos donde las sillas estaban limitadas para ser ocupadas por una mujer. Con perseverancia y en la humilde manera que la caracteriza, destacó su liderazgo y determinación, y fue ejemplo de profesionalismo para muchos profesionales de la salud en el campo de la siatría y el atletismo en Puerto Rico. Mujer integra, con carácter propio y sólido, perseverante, disciplinada, servidora, abogada de causas justas, excelente amiga y clínico…. La carrera de la Dra. Cintrón ha dejado una marca en muchos siatras, pero sobre todo, en muchas mujeres siatras que fueron inspiradas por esta gran mujer a soñar y creer verdaderamente que se puede llegar lejos en nuestro campo cuando se trabaja duro y enfocados en la meta.

La Dra. Cintrón ha sido recipiente de varias dedicatorias, incluyendo una de la Asociación de Fisiatría en el 2010, dedicatoria de las Justas UPR en el 2010, y dedicatoria del Festival Deportivo de la LAI en el 2018 junto al fenecido reportero Sr. Elliot Castro.

Dra. Ana Cintrón, te admiramos y te celebramos. Has dejado una huella indeleble en nuestro campo y en la historia de la siatría en Puerto Rico.

Una alianza global:

La Declaración de Hamburgo…

Uniendo esfuerzos para la salud mundial

Todos hemos escuchado posiblemente desde nuestros estudios en la secundaria, y luego en la escuela de medicina la importancia de promover la actividad física y el ejercicio para tener una vida saludable. Es bien sabido que un sinnúmero de enfermedades no-comunicables tales como las enfermedades cardíacas, la hipertensión, la diabetes tipo 2, la demencia, la depresión y hasta varios tipos de cáncer se han asociado con la falta de actividad física, incluyendo cáncer de mama y colon. Sabemos también que la actividad física reduce los síntomas de depresión y ansiedad, mejora la salud cognitiva y puede mejorar el bienestar general. En niños y adolescentes, la actividad física promueve la salud ósea, fomenta el crecimiento y desarrollo saludable de los músculos y mejora el desarrollo motor y cognitivo.

A nivel global, sabemos que la actividad física en general ha aumentado, pero todavía en la mayoría de los países sigue estando por debajo de las recomendaciones y de la expectativa que tiene la Organización Mundial de la Salud (World Health

Organization-WHO). La falta de actividad física aumenta la morbilidad y la mortalidad relacionada a las enfermedades no-comunicables, empeora la calidad de vida y aumenta los costos de salud y del cuidado en nuestra sociedad.

En el continente americano la iniciativa de ” Exercise is Medicine” (EIM) fue comenzada por la Asociación Médica Americana (AMA) y el Colegio Americano de Medicina Deportiva (ACSM) en el año 2007, y cuya misión ha sido la de incorporar la evaluación y prescripción de actividad física y ejercicio al sistema de cuidado médico de los Estados Unidos. A través de múltiples programas, se han creado guías y herramientas para la prescripción del ejercicio, con programas tanto para la persona sedentaria como para aquellos con varias condiciones médicas crónicas, todos los programas gratuitos y disponibles en el sitio web de ACSM.

Poco después de crearse esta iniciativa, varios países se unieron a la iniciativa de EIM y se creó el

Alliance for the Promotion of Physical Activity: the Hamburg Declaration

To cite: Mechelen W,Steinacker JM, Bloch W,

2023;9:e001626. bmjsem-2023-001626doi:10.1136/

“EIM Global Health Initiative”, con tres centros regionales y 40 países participantes. Estos centros han tenido como propósito el proveer apoyo continuo a través de la plani cación estratégica, el desarrollo y la difusión de herramientas clínicas y comunitarias para la promoción de la actividad física y el ejercicio. Además, se ha recomendado el uso de la actividad física como un signo vital en la evaluación de pacientes, con el propósito de obtener información sobre la condición física en general de la persona, y la posibilidad de añadir un manejo adicional y la prevención de enfermedades crónicas con una prescripción de ejercicio. Según el CDC, han sido pocos los sistemas de salud que han incorporado esta práctica. Entre las di cultades encontradas es que han sido pocos los estudios que han examinado y estudiado las diferentes herramientas disponibles para medir el signo vital de actividad física.

Mats Börjesson,2,11,12 Maurizio Casasco,13 Bernd Wolfarth,3,14,15

Jürgen M Steinacker 1,2,3,4 Willem van Mechelen,2,5,6,7,8 Wilhelm Bloch,9,10

Victoriya Badtieva,24,25 Friedhelm J Beucher,26 Cheri A Blauwet,27

Carolin Knoke 1,2 Theodora Papadopoulou,16,17 Janine Wendt,1 Hashel Al Tunaiji,18,19 Dietrich Andresen,20 Olena Andrieieva,21 Norbert Bachl,22,23

Jose-Antonio Casajus Mallen ,28,29,30 Ju-Ho Chang,31 German Clénin,32,33

Jan C Galle,54 Christian Gerloff,55 Evelina Georgiades,56 Boris Gojanovic,57,58

Naama Constantini,34,35 Demitri Constantinou 36,37 Luigi Di Luigi,38 Lukas Declercq,39 Stephane Doutreleau 40,41 Svitlana Drozdovska,42 Martine Duclos 41,43,44 Andrea Ermolao,45,46 Thomas Fischbach,47 Anastasia N Fischer,48,49 Chiara Fossati,50 Jeorge Franchella,51 Mark Fulcher,52,53

Marcela González Gross,30,59 Andy Grote,60 Martin Halle,61,62 Hans Hauner,63 Matthew Payton Herring 64 Mikio Hiura,65 Kerstin Holze,66 Gerhard Huber,67,68 David Hughes,69,70 Mark R. Hutchinson,49,71,72 Anca Ionescu,73,74

Dina Christina Janse van Rensburg , 37,75 Anna Jegier,73,76 Natasha Jones,77 Kirsten Kappert-Gonther,78 Monika Kellerer,63 Yutaka Kimura,79,80 Agrita Kiopa,81 Bernd Kladny,82 Gerhard Koch,83 Elin Kolle,84 Greg Kolt,85 Yiannis Koutedakis,86,87 Stephan Kress,88 Susi Kriemler , 33,89 Jens Kröger,90 Christian Kuhn,91,92 Roman Laszlo,93 Ralph Lehnert,94 François J Lhuissier 41,95,96 Kerstin Lüdtke,97

Anastassios Philippou,86 Hans-Georg Predel,107,108 Sebastien Racinais,109

Shigeru Makita,80,98 Pedro Manonelles Marqueta,23,98 Winfried März,99 Kirill Micallef-Stafrace,73,100 Mike Miller,101 Melita Moore,102 Erich Müller,103 Daniel Neunhäuserer,45,46 I. Renay Onur,104 Vahur Ööpik,105 Malgorzata Perl,106

Algirdas Raslanas,110 Ruediger Reer,2,73,111 Klaus Reinhardt,112 Claus Reinsberger,15 Sandra Rozenstoka,23,81,113,114 Robert Sallis , 115 Luis B Sardinha ,116,117 Martin Scherer,118,119 Jasper Schipperijn,120 Romain Seil,121 Benedict Tan 122,123 Arno Schmidt-Trucksäss,124 Nils Schumacher,111 Bernhard Schwaab,125 Ansgar Schwirtz,126 Masato Suzuki,80 Jeroen Swart,23,127 Ralph Tiesler,128 Ulf Tippelt,129 Eleanor Tillet,17,130 Jane Thornton 131 Bulent Ulkar ,23,132 Eve Unt,133 Evert Verhagen 5 Thomas Weikert,66 Roberto Vettor,46,134 Sheng Zeng,23,135 Richard Budgett,136 Lars Engebretsen,136,137 Ugur Erdener,136 Fabio Pigozzi,3,138 Yannis P Pitsiladis 3,139

Todavía para el 2016 las estadísticas de múltiples países indicaban un nivel de actividad física y ejercicio de la población en general por debajo del recomendado. Buscando una respuesta mayor a nivel mundial para la promoción de actividad física y ejercicio, durante la Cumbre del Deporte, la Medicina y la Salud (“Sports, Medicine and Health Summit”) celebrada en el año 2021 en Hamburgo, 139 asociaciones de salud y el deporte se unieron bajo una misma sombrilla y crearon una alianza global para fomentar la actividad física y el ejercicio, creando así la Declaración de Hamburgo. El compromiso ha envuelto la implementación de medidas y esfuerzos especí cos para combatir la inactividad física, pero a la vez haciendo un llamado especial a la política nacional e internacional para que se adhiera a esta alianza mundial y se comprometiera con medidas estructurales concretas, incluyendo los niveles más altos como lo son las políticas de gobierno. La meta: establecer una lucha efectiva en contra de la que hoy día es reconocida como la “Pandemia de la Inactividad Física”.

Según las estadísticas del WHO, para junio del 2024, el 31% de los adultos y el 80% de los adolescentes no cumplen con los niveles recomendados de actividad física. Actualmente el objetivo mundial establecido para reducir los niveles de inactividad física en adultos y adolescentes es una reducción relativa del 10% para 2025 y del 15% para 2030.

Una nueva Cumbre del Deporte, Medicina y Salud se estará llevando a cabo este próximo junio del 2025 en la ciudad de Hamburgo, Alemania. La cumbre se compone de dos partes,

el Congreso de la Asociación Alemana de Medicina del Deporte y Ejercicio, y el Congreso de la Iniciativa Europea para Ejercicio es Medicina, y apoyado por múltiples asociaciones de medicina deportiva incluyendo la Federación Europea de Asociaciones de Medicina Deportiva (EFSMA) y la Federación Internacional de Medicina Deportiva (FIMS). Durante la cumbre se rea rmará ese compromiso mediante esa alianza global y se renovará la Declaración de Hamburgo, en busca de seguir la lucha global en contra de la inactividad física y la vida sedentaria.

¿Cuáles son las estadísticas de enfermedades no-comunicables de Puerto Rico y qué política pública tiene en cuanto a la actividad física y el ejercicio?

Según las estadísticas del Departamento de Salud para el período entre el 2017 y el 2020, la primera causa de muerte para la población masculina y femenina sigue siendo la enfermedad cardiovascular y la tercera es la diabetes. Y según el Índice de Bienestar publicado por el Instituto de Desarrollo de Juventud, (IDJ), los niños y jóvenes puertorriqueños lideran las estadísticas de menos actividad física con un porcentaje de 30% de jóvenes que no hacen actividad física a diario. Estadísticas de nuestra población demuestran que el 67% de la población de Puerto Rico se encuentra sobrepeso, números que son alarmantes. El Gobierno de Puerto Rico estableció la Ley 8 de enero 2 del 2020, Ley del “Programa de Ejercicios para Adultos Mayores”, con el propósito de promover, organizar y programar un plan de actividades recreativas y de ejercicios

para los adultos mayores a través de todo Puerto Rico. Esta iniciativa surge ante la preocupación de que los adultos mayores tienen escasas opciones y poco acceso al ejercicio. Ha sido a través del Departamento de Recreación y Deportes que se ha creado el programa “Muévete Conmigo”, inaugurado en septiembre del 2021, cuyo propósito ha sido aumentar el nivel de actividad física, sicológica y social de los adultos mayores. Al momento de sus inicios, 30 de los 78 municipios de Puerto Rico comenzaron el programa y según el DRD, se ha seguido expandiendo.

Pero necesitamos hacer más … la educación a nuestra población, a nuestros pacientes es esencial para promover el ejercicio y la buena salud. Unamos los esfuerzos para que nuestro pueblo entienda que el ejercicio … es medicina.

Referencias:

1. Golightly YM, Allen KD, Ambrose KR, Stiller JL, Evenson KR, Voisin C, Hootman JM, Callahan LF. Physical Activity as a Vital Sign: A Systematic Review. Prev Chronic Dis. 2017 Nov 30;14:E123. doi: 10.5888/pcd14.170030. PMID: 29191260; PMCID: PMC5716811.

2. Steinacker JM, van Mechelen W, Bloch W, et al. Global Alliance for the Promotion of Physical Activity: the Hamburg Declaration. BMJ Open Sport Exerc Med. 2023 Jul 27;9(3):e001626. doi: 10.1136/bmjsem-2023-001626. PMID: 37533594; PMCID: PMC10391804.

3. Departamento de Salud de Puerto Rico: Informe de Estadisticas Vitales_Defunciones 2017-2020.pdf

4. Instituto del Desarrollo de la Juventud: Puerto Rico Child and Youth Well-Being Index

Foto celebrando el 4to aniversario del Programa de DRD: “Muévete Conmigo”.

Introducción

El retorno a la actividad física, ejercicio y el deporte en el postparto

El postparto es un proceso y etapa de la vida que involucra muchos cambios que pueden impactar la vida de una mujer y su rendimiento. Además, se encuentran muchos factores que podrían limitar la actividad física y el retorno al deporte para una mujer. Estos factores incluyen y no se limitan a dolores musculoesqueletales, incontinencia urinaria, separación abdominal, prolapso de órganos pélvicos, cambios cardiovasculares, siológicos, endocrinos o psicológicos.

Independiente de estos cambios, se encuentra información limitada en el proceso de guiar a una mujer al retorno de actividad física o al retorno del juego de una manera segura. Por años se ha recomendado a las mujeres que retornen a la actividad física cerca de las seis semanas luego del parto, utilizando el término cuando sea “medicamente seguro” siendo un término general y sin de nir por complemento.

En muchas ocasiones los síntomas del postparto son catalogados como “normal”, estos incluyendo la falta de energía, rendimiento, dolor entre otros. Pero, la falta de distinción entre síntomas comunes versus normales en los primeros tres meses del postparto puede

atrasar el tratamiento apropiado para esta población, llevando a tener síntomas por años limitando la actividad física. Es por eso que una guía de ejercicios en el periodo del postparto puede garantizar a las atletas un retorno al juego de una manera segura y e caz.

Actualmente la mayoría de la literatura sobre el retorno al juego para una mujer postparto están enfocadas en correr, el cual es considerado una actividad de alto impacto. Las recomendaciones mayores se hacen teniendo el enfoque de poder correr y ajustar los entrenamientos según el deporte o actividad física que quieran completar.

Demandas fisiológicas en el retorno al ejercicio

Durante el embarazo ocurren muchos cambios siológicos a nivel cardiovascular y musculoesquelético. A nivel cardiovascular ocurre un aumento en el gasto cardiaco de 30%-50% que incluye aumento en ritmo cardiaco y volumen sistémico, en adición de un aumento de 10-20% en el consumo de oxígeno. Estos cambios pueden durar semanas durante el periodo de postparto y contribuyen a una disminución del oxígeno disponible durante actividad aeróbica.

Por otro lado, en el aspecto musculoesqueletal, un área que requiere más demanda durante el correr es la musculatura del piso pélvico. Correr es considerado una actividad de alto impacto y está asociada a un aumento repentino de presión intraabdominal al igual que una fuerza de reacción del suelo de 1.6 a 2.5 veces el peso del cuerpo. Dada la estructura y localización de la pelvis como lugar de transmisión de fuerza entre la parte superior e inferior del cuerpo, es esperado que la musculatura que está adjunta va a requerir una contracción y relajación rápida y repetitiva a través del proceso de correr. Si la musculatura del piso pélvico no es capaz de crear esta contracción y relajación la demanda podría llevar a consecuencias como incontinencia urinaria o prolapso de órganos pélvicos.

Adicionalmente, se ha visto que el ejercicio de alto impacto puede incrementar el riesgo de disfunción de piso pélvico hasta cinco veces más comparado con ejercicio de bajo impacto. Por tal razón, así como usamos la terapia física para restaurar la mecánica de correr en pacientes post operados o post lesionados, podríamos incluir esta población para poder proveer un retorno a correr seguro.

Consideración que debemos tener en una atleta en postparto

En el 2024, el British Journal of Sports Medicine público un infográ co sobre seis consideraciones que debemos tener en el retorno al juego para una atleta en postparto. Estas recomendaciones incluyen evaluaciones sobre la salud mental, salud del hueso, sis-

tema cardiovascular, nutrición, hematología, pared abdominal y piso pélvico.

El retorno al entrenamiento tiene muchos cambios en la composición del cuerpo, pero adaptarse a ser madre también puede in uenciar la salud mental. La depresión posparto puede afectar hasta 20% de las mujeres dentro de los primeros 12 meses. Se debe considerar una evaluación de salud mental por un profesional y ser tratado adecuadamente. Tratamientos pueden incluir terapia, medicamentos o cambios de estilo de vida como el ejercicio.

En cuanto a la salud del hueso, la lactancia puede in uenciar temporeramente en la densidad mineral ósea. Esto trae unas preocupaciones como el desarrollo de fracturas de estrés. Esta desmineralización se recupera cuando regresa el periodo menstrual o en el proceso de disminuir la lactancia. Por tal, razón una densitometría ósea no es necesaria en la mayoría de las mujeres. Se recomienda el consumo de calcio que provee una dieta balanceada que es 1000-1300 mg/diario y estrategias pata evitar la sobrecarga. La suplementación adicional de calcio no provee disminución en el proceso de desmineralización.

La nutrición es esencial en el retorno a la actividad física. La lactancia tiene un aumento en gasto energético de 500- 600 kcal, requerimiento proteico de 25 g y necesidad de uidos de hasta 900 mL/dia. Por tal razón es recomendada una dieta balanceada que contenga las vitaminas, y antioxidantes necesarios. Una recomendación puede incluir continuar con las vitaminas prenatales. Además, se debe evitar hacer dietas que envuelvan restricciones de alimentos o ayuna. 500continuar

Durante el embarazo ocurren muchos cambios cardiovasculares como fueron mencionados anteriormente. Estos cambios deben volver a los niveles pre-embarazo semanas después de dar a luz y es importante tenerlos en consideración antes de comenzar actividad física.

En el postparto las mujeres pueden desarrollar una anemia transitoria. Esto en muchos casos está relacionado en la sangre que han perdido duranta el nacimiento del bebe. Se recomienda monitorear los niveles de hemoglobina y remplazar hierro de ser necesario.

Recomendaciones en la línea del tiempo para rehabilitación

sepa

La pared abdominal y piso pélvico son unas de las áreas más afectadas durante el proceso de embarazo debido al incremento en peso, laxitud ligamentosa, cambios en postura y cambios en el centro de gravedad. La recuperación de esta área puede tomar de cuatro a seis meses comúnmente, pero podría tomar más tiempo en algunos casos. Síntomas comunes puede incluir dolor en el área, sensación de pesadez e incontinencia urinaria. Estos síntomas podrían empeorar con el ejercicio y es por eso de que se deben evaluar y tratar para mejorar esta disfunción. Por otro lado, en la pared abdominal en algunas ocasiones puede ocurrir una separación de músculos abdominales creando mayor debilidad conocido como diástasis del recto abdominal. Para este problema la terapia física es el tratamiento más e caz con enfoque en fortalecimiento de los músculos transversos abdominales. Además de los ejercicios en terapia física, los ejercicios de pilates y la técnica de ejercicios de Tupler’s son herramientas recomendadas, evitando ejercicios que promuevan el abultamiento o protrusión del abdomen.

El proceso del retorno al ejercicio debe ser uno gradual. Los síntomas se deben evaluar cada 2448 horas y monitorear la respuesta musculoesqueletal. Selman R, et al, 2022 publican en el International Journal of Sports Physical erapy, recomendaciones en la línea del tiempo para que una mujer postparto pueda regresar al deporte de una manera segura y gradual. Se recomienda comenzar con ejercicio de bajo o moderado impacto con la meta de llegar al peso previo al embarazo sin afectar el proceso de lactancia. Para medir la actividad física podemos utilizar escalas como la percepción del ejercicio que va de 0-10, siendo cero estar en descanso y diez ejercicios vigorosos.

Para la semana 0-2, se recomienda enseñar en técnicas apropiadas de agarrar el/la bebe e ir introduciendo ejercicios de respiración de manera diafragmática y minimizar el estrés musculoesqueletal. Se recomienda ambular en el hogar y proveer educación sobre postura.

trata en transver

pila re

En la semana 3-4, la meta es poco a poco introducir coordinación de pared abdominal y piso pélvico. Se puede comenzar a caminar con una meta de diez minutos, ajustando la frecuencia dependiendo de la tolerancia. Se pueden añadir contracción pélvica por poco tiempo (<5 segs) si no tiene dolor.

En la semana 5-6, se puede aumentar la cantidad de minutos al caminar sin exceder los treinta minutos. La velocidad al caminar puede aumentar, pero no se recomienda empezar a trotar. Se pueden ir introduciendo ejercicios de cadena abierta y aumentar el tiempo de contracción y ejercicios de los músculos pélvicos.

En la semana 7-12, se puede comenzar la integración de ejercicios de fuerza, rendimiento y poder para la preparación para ejercicios de alto impacto. Potencialmente se puede comenzar a común pe sín

hacer ejercicios de impacto en la semana 8-10. Se recomienda empezar a hacer repeticiones con peso menor a 10 libras. Para esta fecha ya el bebe debe estar cerca de ese peso en promedio y los ejercicios son más funcionales. En la semana 8, se puede ir introduciendo el trotar, con recomendaciones de caminar y trotar en intervalos. Por ejemplo, 60 segundos caminando y 60 segundos trotando, con una escala de percepción del ejercicio de seis. Luego gradualmente se puede incrementar el tiempo de trotar a 60 segundos caminando y 120 segundos trotando. Para el fortalecimiento podemos integrar ejercicios de cadena cerrada.

En la semana 13 en adelante, la meta es llegar a la actividad completa. Se puede ir progresando en distancia y velocidad con las recomendaciones de un aumento 2-10% por semana para disminuir el riesgo de lesiones. Para monitorear el proceso se pueden utilizar los criterios de evaluación de la escala de preparación para correr, los cuales incluyen brincar, plancha abdominal, step-ups, sentadilla con una sola pierna y sentadilla en la pared, con una duración de un minuto para cada ejercicio. La capacidad de completar esta serie de ejercicios nos da una idea de la condición de la atleta.

Conclusión

Cada embarazo y postparto es diferente y debe de manejarse de forma individualizada. La mujer pasa por cambios físicos, siológicos y psicológicos que pueden comparase con el proceso de una lesión o cirugía. Además, muchas mujeres y profesionales de la salud carecen de una educación o guía adecuada para una prescripción de ejercicio en esta población. Es por eso los clínicos en la medicina física juegan un rol importante en la educación de esta población y pueden utilizar la terapia física como una herramienta para un retorno a la actividad física ecaz y segura.

Referencias:

1. ACOG Committee Obstetric Practice. (2002). ACOG Committee opinion. Number 267, January 2002: exercise during pregnancy and the postpartum period. Obstetrics and Gynecology, 99(1), 171–173. https://doi.org/10.1016/s00297844(01)01749-5

2. A , T., Barrack, M. T., Casey, E., Huddle, M., Kliethermes, S. A., Kraus, E., Toresdahl, B. G., Wasfy, M. M., & Tenforde, A. S. (2024). Infographic. Head to toe considerations for the postpartum endurance athlete. British Journal of Sports Medicine. https://doi.org/10.1136/bjsports-2023-107624

3. Alaunyte, I., Stojceska, V., & Plunkett, A. (2015). Iron and the female athlete: a review of dietary treatment methods for improving iron status and exercise performance. Journal of the International Society of Sports Nutrition, 12(1). https://doi. org/10.1186/s12970-015-0099-2

4. Chauhan, G., & Tadi, P. (2022, November 14). Physiology, Postpartum Changes. PubMed; StatPearls Publishing. https:// www.ncbi.nlm.nih.gov/books/NBK555904/

5. Chloe Williamson. (2024, February 2). Returning to activity and sport postpartum; what do we currently know and what is missing? BJSM Blog - Social Media’s Leading

6. SEM Voice. https://blogs.bmj.com/bjsm/2024/02/02/ returning-to-activity-and-sport-postpartum-what-do-wecurrently-know-and-what-is-missing/

7. Christopher, S., Donnelly, G. L., Brockwell, E., Bø, K., Davenport, M. H., Marlize De Vivo, Dufour, S., Forner, L. B., Mills, H., Moore, I. S., Olson, A., & Deering, R. (2023). Clinical and exercise professional opinion of return-to-running readiness a er childbirth: an international Delphi study and consensus statement. British Journal of Sports Medicine, bjsports-107489. https://doi.org/10.1136/bjsports-2023-107489

8. Cleveland Clinic. (2022, February 8). Diastasis Recti (Abdominal Separation): Symptoms & Treatment. Cleveland Clinic. https:// my.clevelandclinic.org/health/diseases/22346-diastasis-recti

9. Gary , L. (2021, April 8). ACSM’s Guidelines for Exercise Testing and Prescription.

10. Harrison, K., Williams, D. S. B., Darter, B. J., Sima, A., Zernicke, R., Shall, M., & Finucane, S. (2021). Running Readiness Scale as an assessment of kinematics related to knee injury in female novice runners. Journal of Athletic Training. https://doi. org/10.4085/1062-6050-404-21

11. Kovacs, C. S. (2011). Calcium and Bone Metabolism Disorders During Pregnancy and Lactation. Endocrinology and Metabolism Clinics of North America, 40(4), 795–826. https://doi. org/10.1016/j.ecl.2011.08.002

12. Michalska, A., Rokita, W., Wolder, D., Pogorzelska, J., & Kaczmarczyk, K. (2018). Diastasis recti abdominis - a review of treatment methods. Ginekologia Polska, 89(2), 97–101. https:// doi.org/10.5603/GP.a2018.0016

13. Schulz, J. M., Marmura, H., Hewitt, C. M., Parkinson, L. J., & ornton, J. S. (2023). Navigating the “new normal”: what guidelines exist for postpartum return to physical activity and sport? A scoping review. British Journal of Sports Medicine, 57(24), 1573–1578. https://doi.org/10.1136/bjsports-2023-107166

14. Selman, R., Early, K., Battles, B., Seidenburg, M., Wendel, E., & Westerlund, S. (2022). Maximizing Recovery in the Postpartum Period: A Timeline for Rehabilitation from Pregnancy through Return to Sport. International Journal of Sports Physical erapy, 17(6), 1170–1183. https://doi.org/10.26603/001c.37863

15. Tahreem, A., Rakha, A., Rabail, R., Nazir, A., Socol, C. T., Maerescu, C. M., & Aadil, R. M. (2022). Fad Diets: Facts and Fiction. Frontiers in Nutrition, 9(9). https://doi.org/10.3389/ fnut.2022.960922

Juan Estévez, MD

Residente de Rehabilitación R-4

Servicio de Rehabilitación Hospital Universitario Infanta Leonor y Virgen de la Torre Madrid, ES

Martín Roldán, MD

Fellow de Medicina Deportiva Departamento de Medicina Fisica, Rehabilitación y Salud Deportiva Universidad de Puerto Rico- RCM

Gerardo Miranda-Comas, MD, CAQSM

Catedrático Auxiliar, Director de Fellowship de Medicina Deportiva, Departamento de Medicina Física, Rehabilitación y Salud Deportiva, Universidad de Puerto Rico- RCM

Associate Professor Department of Rehabilitation and Human Performance Icahn School of Medicine at Mount Sinai

Ejercicios en niños y jóvenes

Introducción

En las últimas décadas, la prevalencia del sedentarismo y la obesidad en la población pediátrica ha aumentado signi cativamente, impulsado mayormente por la denominada “era digital”. Entre los factores principales que explican esta tendencia, se encuentra el uso excesivo de dispositivos electrónicos (smartphones, tabletas, computadoras), que ha ha desplazado las actividades físicas tradicionales, como el juego recreativo en escuelas, parques y hogares; y la pandemia de COVID-19, donde hubo una reducción en el acceso a la actividad física y un aumento en el tiempo de pantalla (1-3).

Los Centros para el Control y la Prevención de Enfermedades (CDC) han reportado una cantidad alta de enfermedades crónicas en niños y adolescentes, especialmente de trastornos metabólicos, fenómeno preocupante que anteriormente no se observaba con esta frecuencia en estas edades. Ante esta realidad, la Organización Mundial de la Salud (OMS) ha desarrollado guías, basadas en evidencia, sobre la actividad física, estableciendo recomendaciones especí cas dirigidas a la población pediátrica con el objetivo de promover la salud integral y prevenir enfermedades. Dentro de estas estrategias, se encuentran herramientas como el Plan de Acción Global sobre Actividad Física (GAPPA) 2018-2030 y ACTIVE, diseñadas para fomentar hábitos saludables desde la infancia, las cuales discutiremos más adelante.

Ademeas de prevenir patologías, la evidencia cientí ca ha demostrado consistentemente que la actividad física ofrece bene cios siológicos, emocionales y cognitivos en niños y adolescentes, entre ellos:

•Mejoría del rendimiento físico y funcional

•Optimización de la salud cardiovascular y ósea

• Estimulación cognitiva y mejor desempeño académico

•Bene cios para la salud mental y social

• Reducción del tejido graso y menor riesgo de obesidad y enfermedades metabólicas

Como médicos, debemos fomentar una nueva mentalidad, en la que el ejercicio se visualice no solo como una estrategia de prevención, sino como una necesidad básica humana desde la infancia, promoviendo su integración en el hogar, la escuela y la comunidad. Abordar este hábito saludable es clave para prevenir enfermedades metabólicas, mejorar la salud a largo plazo en la población pediátrica y reducir el impacto negativo del sedentarismo en las futuras generaciones. A continuación, explicaremos los bene cios para la salud y las recomendaciones más actualizadas sobre actividad física en niños y adolescentes.

y la circunferencia, el desarrollo progresivo de la musculatura y la densi cación ósea, lo mismo que pueden ser modi cados y optimizados con la práctica regular de la actividad física (1).

La actividad física es fundamental en el control neuromuscular y en la adaptación morfológica de los músculos y tendones. Se ha demostrado que el entrenamiento físico incrementa el área de sección transversal de las bras musculares, mejora las propiedades del tejido tendinoso, y fortalece la capacidad de respuesta del sistema musculoesquelético (2). Además, la actividad física estimula el crecimiento óseo, aumentando el contenido mineral óseo y la expansión cortical del hueso, lo que es bene cioso durante la etapa prepuberal, cuando el esqueleto es más receptivo a las cargas mecánicas generadas por el ejercicio (3).

Programas de actividad física como los escolares, entrenamientos por intervalos de alta intensidad y entrenamientos de resistencia, mejoran los parámetros de salud cardiometabólica, incluyendo el control de la tensión arterial, el per l lipídico y la regulación de la glucosa y la resistencia a la insulina cuando se comparan con la ausencia de actividad física. Más allá de los bene cios físicos, este comportamiento in uye positivamente en la salud emocional y cognitiva, desarrollando habilidades cognitivas como la memoria, la función ejecutiva, en adición a destrezas sociales (5).

Durante la infancia y la adolescencia, los niños experimentan cambios siológicos y musculoesqueléticos signi cativos que in uyen en su desarrollo y rendimiento físico a corto y largo plazo. Existen procesos que están genéticamente regulados, como lo son la masa corporal

Es de suma importancia conocer que desarrollar habilidades motoras y reconocer la actividad física como una necesidad o responsabilidad para la salud desde la infancia está directamente relacionado con mayores niveles de actividad física en la vida adulta. El término alfabetización física que se de ne como la motivación, con anza, competencia motriz, conocimiento y compresión en valorar y responsabilizarse en el compromiso de realizar actividad física a lo largo de la vida ha demostrado mejores resultados en parámetros clínicos y en prevalencia de condiciones médicas. Por lo que fomentar el ejercicio desde edades tempranas, no solo optimiza el desarrollo musculoesquelético y metabólico, sino que también establece las bases para una vida más activa y saludable.

Salud ósea

La actividad física con carga de peso, como correr y saltar, es clave en el desarrollo óseo durante la infancia y la adolescencia. Se ha demostrado que los niños y adolescentes físicamente activos presentan una mayor densidad y contenido mineral óseo, lo que mejora la resistencia ósea. La masa ósea máxima (PBM=peak bone density) está principalmente determinada por factores genéticos, aún así los factores modi cables como la ingesta adecuada de calcio y vitamina D, junto con el ejercicio regular pueden optimizar este parámetro. Fortalecer la estructura ósea en esta etapa reduce signi cativamente el riesgo de osteoporosis y fracturas en la adultez, consolidando la importancia de la actividad física desde edades tempranas.

Salud psicosocial

Relación entre actividad física, parámetros clínicos y condiciones médicas

Salud cardiometabólica

Se ha demostrado que los programas de actividad física escolar generan mejoras signi cativas en la presión arterial diastólica y los niveles de insulina en ayunas. Además, el aumento de la actividad física aeróbica y el fortalecimiento muscular están directamente asociados con una mejor aptitud cardiorrespiratoria y muscular en la población pediátrica. La actividad física también está vinculada a una menor adiposidad y puede favorecer el mantenimiento de un peso saludable en niños y adolescentes. Estudios han demostrado que una mayor actividad física, al igual que menos de 2 horas diarias de uso de pantallas, se asocia con una menor adiposidad, Índice de Masa Corporal (IMC) y circunferencia de cintura durante la infancia. Es clave reconocer que más importante que mantener o alcanzar un peso óptimo, hacer ejercicio con frecuencia debe ser la meta principal. Estas recomendaciones, establecidas por la OMS en 2010, refuerzan la importancia del ejercicio regular en el desarrollo infantil y la prevención de enfermedades a largo plazo.

Más allá de los bene cios físicos, la actividad física in uye positivamente en la salud emocional y cognitiva, reduciendo el estrés, la ansiedad y los síntomas depresivos. Los efectos positivos en la función cognitiva y el rendimiento académico en niños y adolescentes, incluye mejoras en el desempeño escolar, la memoria y la función ejecutiva. Una revisión de literatura de múltiples ensayos controlados aleatorizados demostró que intervenciones de ejercicio realizadas varias veces por semana, durante seis semanas, se asociaron con mejoras signi cativas en control inhibitorio, memoria de trabajo y exibilidad cognitiva, en comparación con la ausencia de ejercicio.

Además, la actividad física reduce el riesgo de depresión y síntomas depresivos en niños y adolescentes, tanto en aquellos con diagnóstico de depresión mayor como en quienes no la presenta. De hecho, su efecto puede ser comparable a las terapias psicológicas y farmacológicas en la reducción de síntomas.

Por otro lado, el comportamiento sedentario ha mostrado una relación negativa con la salud mental y calidad de vida en niños y adolescentes. Un mayor tiempo frente a pantallas, especialmente el uso prolongado de la computadora y la visualización de televisión se ha asociado con un peor bienestar psicológico, así como con un aumento

en los síntomas de ansiedad y depresión en varios estudios. Adicionalmente, revisiones han encontrado que mayores duraciones de visualización de televisión y uso de videojuegos están relacionadas con conductas menos prosociales, así como con una menor duración del sueño, aunque no se observó una asociación clara entre el uso de computadoras o videojuegos y la calidad del sueño.

En el caso de niños con trastorno por dé cit de atención e hiperactividad (TDAH), la actividad física también ha demostrado bene cios, tales como mejoras en la atención, la función ejecutiva y el comportamiento social. Estos hallazgos refuerzan la importancia del ejercicio regular en el desarrollo neurocognitivo y el bienestar emocional de la población pediátrica.

A nivel social la práctica deportiva fomenta habilidades como el trabajo en equipo, el liderazgo y la empatía, mejorando las relaciones interpersonales con compañeros y familiares y disminuyendo el riesgo de aislamiento social. Estos bene cios resaltan la importancia de integrar el ejercicio en la rutina diaria de los niños, no solo como una herramienta para la salud física, sino también como un factor clave en su bienestar psicológico y social.

Efectos adversos del ejercicio

Aunque toda actividad física conlleva algún riesgo de eventos adversos, hay evidencia limitada que informe sobre daños asociados con los niveles de actividad física recomendados para obtener bene cios para la salud.

Según la evidencia disponible y la opinión de expertos, los posibles riesgos asociados con las cantidades y tipos de actividad física recomendadas para niños y adolescentes se consideran bajos y pueden reducirse mediante un aumento progresivo del nivel e intensidad de la actividad, especialmente en aquellos que son inactivos.

Se sabe que la participación en algunos deportes aumenta el riesgo de lesiones, al igual que el incremento en la intensidad del ejercicio. Se necesita más investigación para fortalecer el conocimiento en esta área.

Durante mucho tiempo se ha sostenido el mito de que el entrenamiento de resistencia es perjudicial para niños y adolescentes, especialmente en relación con el riesgo de lesiones o efectos negativos sobre el crecimiento. Sin embargo, la evidencia actual demuestra que, cuando se realiza bajo supervisión adecuada, con técnicas correctas y sin la necesidad de evaluar el 1RM (una repetición máxima), este tipo de ejercicio es seguro y bene cioso. El uso de resistencias moderadas y un enfoque en la progresión técnica permite mejorar la fuerza, la salud ósea y el control motor sin comprometer la integridad física.

Recomendaciones de ejercicio y tiempo sedentario en la población pediátrica

El Plan de Acción Global sobre Actividad Física (GAPPA) 2018-2030 de la OMS busca que las personas sean menos sedentarias y más activas, con el objetivo de reducir el sedentarismo en un 15% para 2030. Para lograrlo, recomienda que niños y adolescentes hagan al menos 60 minutos diarios de ejercicio moderado a intenso, principalmente aeróbico, y que tres veces a la semana incluyan actividades más intensas y ejercicios para fortalecer músculos y huesos. Además, cualquier movimiento cuenta: hacer algo es mejor que no hacer nada, y lo ideal es empezar poco a poco e ir aumentando el nivel con el tiempo. También es clave que todos los niños y jóvenes tengan oportunidades seguras y accesibles para moverse, eligiendo actividades divertidas y acordes a su edad y habilidades. En general, se recomienda reducir el tiempo sedentario, especialmente el que pasan frente a pantallas, para fomentar un estilo de vida más saludable.

Grupo por edad

Menores de 1 año

Entre 1-2 años

Entre 3-4 años

Entre 5-17 años con o sin alguna discapacidad

Actividad física

•30 min al día en posición prono

•5 horas de movimiento sin restricción

Sedentarismo

•< 1 hora restringidos de movimiento (por ejemplo, en cochecitos, sillas altas o sujetos a la espalda del cuidador).

•Restringir pantallas.

•Fomentar lectura y narración de cuentos.

Entre 5-17 años con discapacidad

Lectura recomendada:

•180 minutos de actividad a cualquier intensidad

•180 minutos de actividad

•60 minutos deben ser de intensidad moderada a vigorosa

•60 minutos al día de ejercicio

- intensidad moderada-vigorosa.

•3 días a la semana de actividad física

- Ejercicios aeróbicos vigorosa

- Ejercicios de estiramientos musculoesqueléticos.

•3 días a la semana de actividad física

- Ejercicios aeróbicos vigorosa

- Ejercicios de estiramientos musculoesqueléticos.

•< 1 hora restringidos de movimiento

•1 año de edad- no tiempo frente a pantallas

•2 años de edad- < 1 hora con pantallas

•Fomentar lectura y narración de cuentos.

•< 1 hora restringidos de movimiento

•< 1 hora con pantallas.

•Fomentar lectura y narración de cuentos.

•Limitar el tiempo de sedentarismo

•Monitorear especial atención a aquel tiempo que se pasa con pantallas.

•Limitar el tiempo de sedentarismo

•Monitorear especial atención a aquel tiempo que se pasa con pantallas.

WHO GUIDELINES ON PHYSICAL ACTIVITY AND SEDENTARY BEHAVIOUR

https://iris.who.int/bitstream/handle/10665/336656/ 9789240015128-eng.pdf

Referencias:

1. Overuse Injuries and Burnout in Youth Sports: A Position Statement From the American Medical Society for Sports Medicine. DiFiori JP, Benjamin HJ, Brenner J, et al. Clinical Journal of Sport Medicine: O cial Journal of the Canadian Academy of Sport Medicine. 2014;24(1):3-20. doi:10.1097/JSM.0000000000000060.

2. Physiological Adaptations Following Resistance Training in Youth Athletes-a Narrative Review. Legerlotz K, Marzilger R, Bohm S, Arampatzis A. Pediatric Exercise Science. 2016;28(4):501-520. doi:10.1123/pes.20160023.

3. Does Exercise In uence Pediatric Bone? A Systematic Review. Specker B, iex NW, Sudhagoni RG. Clinical Orthopaedics and Related Research. 2015;473(11):365872. doi:10.1007/s11999-015-4467-7.

4. Physical Activity in Children and Adolescents. Landry BW, Driscoll SW. PM & R: e Journal of Injury, Function, and Rehabilitation. 2012;4(11):826-32. doi:10.1016/j. pmrj.2012.09.585.

5. Physical Activity Assessment and Counseling in Pediatric Clinical Settings. Lobelo F, Muth ND, Hanson S, Nemeth BA. Pediatrics. 2020;145(3):e20193992. doi:10.1542/ peds.2019-3992.

En Therapy Network

Rehabilitación cardíaca: del entorno agudo al ambulatorio

Isabel Borras Fernández, MD, FAAPMR, Brain Injury Medicine

Physiatry Section chief, Polytrauma Network Site

Medical Director

Cardiac-Pulmonary Rheabilitation Medical Director

VA Caribbean Healthcare

Larehabilitación cardíaca (RC) es un programa multidisciplinario estructurado y supervisado que tiene como objetivo mejorar la salud cardiovascular y el estado funcional en pacientes con eventos cardíacos recientes.

o revertir el proceso aterosclerótico y mejorar la calidad de vida y el bienestar emocional (3).

Según la AACVPR (Asociación Americana de Rehabilitación Cardiovascular y Pulmonar), el objetivo principal de un programa de RC es ayudar a lograr el funcionamiento físico, psicológico y social óptimo de los pacientes cardíacos. Para alcanzar estos objetivos, los programas ambulatorios de RC basan su enfoque en nueve componentes fundamentales: evaluación del paciente, asesoramiento nutricional, control de peso, modi cación de factores de riesgo (peso, lípidos, presión arterial, diabetes mellitus, tabaquismo), manejo psicosocial, asesoramiento sobre actividad física y ejercicios (2).

Los objetivos principales de un programa de rehabilitación cardíaca incluyen: mejorar la condición cardiovascular, disminuir la morbilidad y mortalidad asociadas a condiciones cardiácas, reducir el riesgo de futuros eventos cardíacos, disminuir el riesgo de muerte cardíaca súbita y de re-infarto, controlar los síntomas cardíacos, estabilizar

Las indicaciones para la rehabilitación cardíaca incluyen infarto al miocardio, intervención coronaria percutánea, cirugía de bypass coronario, angina estable, cirugía de válvula cardíaca, trasplante de corazón/pulmón e insuciencia cardíaca crónica con fracción de eyección reducida (4). Por otro lado, las contraindicaciones para esta modalidad incluyen: angina inestable, estenosis aórtica severa, arritmias cardiacas no controladas, hipertensión no controlada, enfermedad sistémica aguda/ ebre, embolia reciente, pericarditis/ miocarditis aguda, trombo cardíaco, y condiciones ortopédicas o neurológicas severas que puedan limitar la participación (4).

A pesar de las indicaciones y evidencia médica, la utilización de RC es limitada; con una variabilidad sustancial entre centros médicos y solo aproximadamente el 25% de los pacientes que cuali can reciben los servicios. Factores que podrían contribuir a la baja tasa de utilización incluyen: la disponibilidad limitada de programas, la transi-

ción fragmentada entre centros médicos, la falta de conocimiento de los proveedores de salud sobre los bene cios de la RC, las barreras nancieras y las disparidades en el acceso, entre otras cosas (5, 6).

Los programas de rehabilitación cardíaca están estructurados principalmente para ofrecer servicios ambulatorios, sin embargo, la atención para estos pacientes comienza en el entorno médico agudo. La mayor parte de los programas se dividen en tres fases, siendo la primera fase en el entorno hospitalario inmediatamente después de un evento cardíaco. Cada fase tiene metas y precauciones especi cas las cuales se basan en la patología subyacente. El equipo de RC es uno interdisciplinario, puede variar de institución a institución e incluir diferentes disciplinas. Lo importante es que ese proveedor tenga el entrenamiento y competencias necesarias para proveer este tipo de servicios.

Al evaluar a los pacientes cardíacos en el entorno agudo, se deben considerar varios aspectos importantes, como lo es establecer la estabilidad clínica del paciente y la estraticación del riesgo con actividad física. Es sumamente importante que la frecuencia cardíaca, la presión arterial y la oxigenación estén en niveles aceptables, y no debe haber síntomas como dolor en el pecho, di cultad respiratoria, palpitaciones, mareos, náuseas ni otros síntomas cardiovasculares. Es importante considerar el estado funcional actual y pre mórbido, incluyendo historial de actividad física o de sedentarismo como parte de la evaluación inicial. Los análisis de laboratorio y las imágenes diagnósticas deben ser evaluados, incluyendo: troponinas, pro-BNP, hemoglobina, fracción de eyección (ecocardiograma), electrocardiograma (problemas de ritmo y conducción), radiografías de pecho. También se realizan pruebas de estado funcional según corresponda (prueba de caminata de 6 minutos, escala BORG, prueba de esfuerzo limitada por síntomas-stress test) (7) (8) (9).

La estrati cación del riesgo puede evaluarse utilizando las guías establecidas, tales como las del Colegio Americano de Medicina del Deporte (ACSM), la Asociación Americana del Corazón (AHA) y la Asociación Americana de Rehabilitación Cardiovascular y Pulmonar (AACVPR). La AACVPR de nió la estrati cación del riesgo de la siguiente manera: (Tabla 10).

Fracción de eyección > 50%

Capacidad functional > 7 METs

Fracción de eyección 40-49%

Capacidad funcional 5-6.9 METs

Fracción de eyección < 40%

Capacidad funcional < 5 METs

Ausencia de arritmias complejasIsquemia silenciosa de leve a moderadaArritmias ventriculares complejas

Infarto de miocardio no complicado o cirugía cardíaca no complicada

Respuesta hemodinámica y ECG normal con el ejercicio

Ausencia de depresión clínica

Signos y síntomas de angina a niveles moderados de ejercicio

Respuesta hemodinámica anormal con ejercicio

Infarto de miocardio complicado o cirugía cardíaca

Respuesta hemodinámica anormal con ejercicio

Isquemia silenciosa significativaDepresión clínica

Tabla 10.

Una vez que los pacientes han sido estrati cados para descartar posibles complicaciones cardiopulmonares inducidas por el ejercicio, se puede elaborar un plan de tratamiento basado en las condiciones cardiopulmonares subyacentes, las pruebas diagnósticas y el historial clínico. Es crucial tener en cuenta la patología presente para así poder aplicar de una forma segura la intensidad/modalidad del ejercicio recomendada y determinar el nivel de monitoreo necesario. En el entorno agudo, especialmente después de un evento cardíaco reciente, las prescripciones de ejercicio también se pueden ajustar según los equivalentes metabólicos de una tarea (METS). Un MET, equivale a 3.5 ml de oxígeno/kg/min, y es una medida estandarizada que estima la cantidad de oxígeno que usa el cuerpo durante la actividad física; por lo tanto, re eja cuán duro está trabajando el cuerpo. Las diferentes actividades tienen unos valores de MET asignados según la cantidad de energía que requieren en comparación con la energía requerida en reposo. En otras palabras, si realizas una actividad equivalente a 4 METS, estás trabajando cuatro veces más fuerte que en reposo. Hay múltiples tablas disponibles en la literatura que describen las diferentes actividades y sus METS correspondientes. Si aplicamos este concepto al entorno medico agudo podemos ver la energía que requieren algunas simples actividades. Por ejemplo: (Tabla 11).

11.

Actividad

Sentado en la cama1.2-1.5 METS

Sentado en una silla1.5 METS

Uso de un “bed pan”1.3-1.5 METS

Uso de un “commode”2.0-2.3 METS

Transferencia de cama a silla2.0-2.3 METS

Transferencia de cama a pie2.3 METS

Caminar por la habitación (lento) 2.5 METS

Caminar por el pasillo (lento)3.0 METS

Ducharse o bañarse de pie3.0-3.5 METS

Utilizando esta información, uno puede extrapolar y ajustar su receta de ejercicio en base a la cantidad de actividad física que el paciente puede tolerar, con sus precauciones cardiacas especí cas y guías de progresión.

Otra herramienta importante que se utiliza comúnmente para monitorear la tolerancia del paciente a las actividades físicas, tanto en el hospital como en el ambiente ambulatorio es la escala de Valoración de Esfuerzo Percibido de Borg (RPE). Esta es una medida subjetiva utilizada para evaluar la intensidad de la actividad física según la percepción del paciente. Esta escala corre desde el 6 al 20, donde 20 es el esfuerzo máximo, pero el rango deseado durante el programa de rehabilitación generalmente se encuentra entre 11 y 13 (para las fases subagudas o ambulatorias). Sin embargo, el nivel de la intensidad deseada puede modi carse de acuerdo con estado funcional del paciente, condiciones médicas y estrati cación del riesgo (12).

Factores importantes a considerar luego de que los pacientes han sido estrati cados en base a su estado funcional son:

• Pacientes postquirúrgicos de cirugía de corazón abierto deben de seguir con sus precauciones de cirugía incluyendo las del mediastino, evitar ejercicios isométricos, comenzar de manera lenta aumentando gradualmente, y con atención especial a los síntomas como dolor en el pecho, di cultad respiratoria y fatiga. La escala de Borg debe mantenerse entre 11-13.

• Pacientes con insu ciencia cardíaca con fracción de eyección reducida tienen una capacidad disminuida para tolerar el ejercicio y pueden experimentar fatiga, di cultad respiratoria y retención de líquidos. La intensidad de la actividad debe mantenerse baja al principio, monitoreando que los síntomas de insu ciencia cardíaca no empeoren y ajustando el programa en base a el estado y respuesta hemodinámica.

• Pacientes con arritmias tienen un mayor riesgo de arresto cardíaco súbito/muerte súbita y otras complicaciones durante la actividad física; por lo tanto, es importante monitorear cualquier palpitación, mareo

Tabla

o dolor en el pecho. El monitoreo con telemetría durante el ejercicio es útil en esta población (al igual que en las anteriores), especialmente cuando se ajusta la intensidad de dicha actividad para mantenerla en la zona recomendada.

• En pacientes con infarto al miocardio reciente, es importante empezar el programa de ejercicio con una intensidad baja y aumentar gradualmente, con especial atención a los síntomas como dolor en el pecho, di cultad para respirar y fatiga. La escala de Borg debe mantenerse entre 11-13 y evitar ejercicios isométricos inicialmente (13).

• En pacientes de trasplante de corazón, una de las consideraciones más importantes que tenemos que tener en cuenta es que el medir la intensidad del ejercicio es más retante debido a la respuesta de frecuencia cardiaca atenuada en corazones denervados.

El paciente cardíaco es un pacientes de alto riesgo, por lo tanto necesita programas de ejercicio supervisados, comenzando con actividades de baja intensidad, como ejercicios de rango de movimiento, ejercicios sentados, trabajando una extremidad a la vez y se debe progresar gradualmente según la respuesta hemodinámica del paciente, su tolerancia y su condición cardiaca (13).

En resumen, la RC es una modalidad esencial, recomendada por la evidencia médica para el paciente cardiaco y la cual debería de empezar desde en entorno medico agudo durante la hospitalización luego de un evento cardiaco. La RC no solamente mejora la calidad de vida de estos pacientes, sino que reduce la mortalidad, morbilidad asociada a la enfermedad cardiovascular y reduce la reincidencia de eventos cardíacos.

Referencias:

1.

2. Rehabilitation AA of C& P. Guidelines for cardiac rehabilitation and secondary prevention programs. Human Kinetics; 2004.

3. Smith SC, Benjamin EJ, Bonow RO, et al. AHA/ACCF Secondary Prevention and Risk reduction therapy for patients with coronary and other atherosclerotic vascular disease: 2011 update. Circulation. 2011;124(22):24582473. doi:10.1161/cir.0b013e318235eb4d

4. Brown TM, Pack QR, Aberegg E, et al. Core components of cardiac rehabilitation programs: 2024 Update: A scienti c Statement from the American Heart Association and the American Association of Cardiovascular and Pulmonary Rehabilitation. Circulation. 2024;150(18). doi:10.1161/cir.0000000000001289

5. Leon AS, Franklin BA, Costa F, et al. Cardiac rehabilitation and secondary prevention of coronary heart disease. Circulation. 2005;111(3):369-376. doi:10.1161/01. cir.0000151788.08740.5c

6. Home - Centers for Medicare & Medicaid Services | CMS. https://www.cms.gov/

7. omas RJ, King M, Lui K, Oldridge N, Piña IL, Spertus J. AACVPR/ACCF/AHA 2010 Update: Performance Measures on Cardiac Rehabilitation for Referral to Cardiac Rehabilitation/Secondary Prevention Services. Journal of the American College of Cardiology. 2010;56(14):11591167. doi:10.1016/j.jacc.2010.06.006

8. Virani SS, Newby LK, Arnold SV, et al. 2023 AHA/ ACC/ACCP/ASPC/NLA/PCNA Guideline for the Management of Patients with Chronic Coronary Disease: A report of the American Heart Association/ American College of Cardiology Joint Committee on Clinical Practice Guidelines. Circulation. 2023;148(9). doi:10.1161/cir.0000000000001168

9. Gibbs BB, Hivert MF, Jerome GJ, et al. Physical activity as a critical component of First-Line treatment for elevated blood pressure or cholesterol: Who, what, and how?: A scienti c statement from the American Heart Association. Hypertension. 2021;78(2). doi:10.1161/ hyp.0000000000000196

10. American Association of Cardiovascular and Pulmonary Rehabilitation. AACVPR Strati cation Algorithm for Risk of Event. Published 2012. https://registry. dev.aacvpr.org/Documents/AACVPR%20Risk%20 Strati cation%20Algorithm_June2012.pdf

11. Ainsworth BE, Haskell WL, Herrmann SD, et al. 2011 Compendium of Physical activities. Medicine & Science in Sports & Exercise. 2011;43(8):1575-1581. doi:10.1249/ mss.0b013e31821ece12

12. Borg GAV. Psychophysical bases of perceived exertion. Medicine & Science in Sports & Exercise. 1982;14(5):377381. doi:10.1249/00005768-198205000-00012

13. Winnige P, Vysoky R, Dosbaba F, Batalik L. Cardiac rehabilitation and its essential role in the secondary prevention of cardiovascular diseases. World Journal of Clinical Cases. 2021;9(8):1761-1784. doi:10.12998/wjcc. v9.i8.1761

El ejercicio físico en población adulta mayor

Dra. Uxue Ibañez Alda Residente de 3º año en Medicina Física y Rehabilitación en el Hospital Universitario de Basurto en Bilbao (País Vasco, España)

Pedro E. Rodríguez Ortiz, MD, MPH, DABFM-CAQG Fellow de Medicina Deportiva Departamento de Medicina Física, Rehabilitación y Medicina Deportiva, Universidad de Puerto Rico, Recinto de Ciencias Médicas, Escuela de Medicina

William Micheo, MD, FACSM Jefe de Departamento Departamento de Medicina Física, Rehabilitación y Medicina Deportiva, Universidad de Puerto Rico, Recinto de Ciencias Médicas, Escuela de Medicina

Introducción

En todo el mundo, las personas viven más tiempo que antes. Hoy la mayor parte de la población tiene una esperanza de vida igual o superior a los 60 años.1 En 2023, había 59.2 millones de personas en los Estados Unidos que tenían 65 años o más, lo que representa el 17.3% de la población.2

La gente vive más años y tiene menos niños y, por tanto, la población está envejeciendo rápidamente. Estos cambios son producidos por factores socioeconómicos, tales como mejoras en la nutrición, en las condiciones de vida y parcialmente en la mejora de los cuidados de salud.3

Si el reto principal del siglo pasado fue la supervivencia, el de este siglo XXI será el de la calidad de vida. Con un ascenso constante del número de niños que alcanzan el período de adulto, unido asimismo a que más adultos llegan a la tercera edad, la mayor preocupación es la de asegurar que todos ellos gocen del más alto nivel de bienestar y de calidad de vida posible; de ahí que la salud tenga un papel primordial.3

Nuestra capacidad con relación al número de funciones (tales como la capacidad de ventilación, fuerza muscular, gasto cardiovascular) se incrementa en la infancia y alcanza un pico en la primera etapa de la edad adulta. A este pico le sigue eventualmente un deterioro, cuya velocidad está, sin embargo, ampliamente determinada por factores relacionados con el estilo de vida del adulto, tales como nivel de actividad física, la dieta, tabaquismo y el consumo de alcohol.

El comportamiento sedentario tiende a incrementarse con la edad, lo que convierte a los adultos mayores en el grupo más inactivo, dedicando entre un 65% y un 80% de su tiempo de vigilia a estar sentados. Esta falta de actividad física tiene repercusiones negativas en la salud cardiometabólica, el bienestar de los músculos y tendones, la capacidad funcional, la autonomía física, la composición corporal y la mortalidad en general. En cambio, se ha comprobado de manera concluyente que el ejercicio actúa como una estrategia preventiva y una intervención terapéutica efectiva para mitigar los efectos adversos del envejecimiento.4

Definiciones

Clasi cación de la OMS (Organización Mundial de la Salud) para las personas mayores.5

• Adulto mayor o anciano joven: entre 60 y 74 años

• Anciano: entre 75 y 90 años

• Anciano longevo: a partir de los 90 años

De niciones:

• Adulto mayor (anteriormente conocido como “persona de edad avanzada”): Una persona adulta mayor es aquella que tiene 60 años o más de edad. Sin embargo, esta edad puede variar según el país y la legislación vigente. En Puerto Rico, la Ley Núm. 121-2019 de ne como adultos mayores a las personas de 60 años o más.6

• Persona de tercera edad: La tercera edad se considera a partir de los 60 o 65 años de edad. Es una etapa de la vida en la que las personas experimentan cambios físicos, psicológicos y de salud.7

• Actividad física: La actividad física se re ere a cualquier movimiento corporal que se produzca por la contracción de los músculos esqueléticos y que produzca aumentos sustanciales en el consumo de energía del cuerpo con respecto a estar en reposo.

• Ejercicio físico: El ejercicio físico es un tipo de actividad física planeado y estructurado. Consiste en repetir determinados movimientos con el objetivo de mejorar o mantener alguno de los componentes de la aptitud física.

• El deporte: se distingue de los dos anteriores por ser una forma de actividad física sujeta a reglas o normas concretas. Generalmente requerirá entrenamiento o un programa de ejercicio físico especí co. Su faceta más lúdica o social se ve representada en el deporte recreativo y su faceta más competitiva o agresiva en el deporte de competición.8

Cambios fisiológicos y musculoesqueletales de envejecimiento normal

La población envejece en forma acelerada, y la comprensión de los cambios siológicos asociados al envejecimiento es una herramienta importante para enfrentar las demandas biomédicas y sociales de ese grupo etario. La evidencia disponible muestra importantes

cambios morfológicos y funcionales asociados a la edad. La resistencia física se correlaciona directamente con la capacidad de transportar y metabolizar oxígeno durante la actividad física.9,10 Se produce un declive natural en el transporte máximo de oxígeno que se acelera después de los 50 años, cuando las pérdidas pueden promediar entre 0.4-0.5 mL/kg por minuto por año, lo que equivale a un 5%-10% por década.11 Gran parte de este declive se ha atribuido a la inactividad progresiva, cambios en la composición de la grasa corporal y desacondicionamiento muscular periférico y cardíaco. 12 Las personas mayores experimentan un declive constante en la frecuencia cardíaca máxima, una menor capacidad para el llenado diastólico, vaciado incompleto en la sístole y una respuesta inotrópica reducida al estímulo simpático, todo lo cual afecta negativamente el volumen de eyección, la fracción de eyección y el gasto cardíaco. 11 Aunque estos cambios probablemente no afecten a una persona mayor en reposo, la taquicardia inducida por la actividad o el ejercicio puede exacerbar cualquier desventaja mecánica del corazón. La función diastólica deteriorada puede predisponer a una persona al desarrollo de comorbilidades cardíacas adicionales, como brilación auricular, isquemia e insu ciencia cardíaca, con implicaciones adicionales para la actividad física.13 La sarcopenia, que se caracteriza por pérdidas en la masa muscular, fuerza y resistencia, también contribuye a las consecuencias funcionales del envejecimiento debido a cambios en las bras musculares, la síntesis de proteínas y la función mitocondrial. Incluso en personas saludables, la fuerza y el poder muscular comienzan a disminuir alrededor de los 25 años, sobre todo en las extremidades inferiores.14 El proceso se acelera después de los 65 años, cuando una persona normal ya ha perdido el 25% de su fuerza máxima juvenil. A los 80 años, se puede perder hasta el 50% de la masa muscular, lo que probablemente se deba más a la pérdida de bras musculares reales que a la atro a de las bras. Estos cambios contribuyen a los dé cits en la fuerza total y pueden llevar al declive funcional.15 El descenso de los

andrógenos relacionado con la edad y otros factores de crecimiento pueden contribuir a este proceso con la pérdida selectiva de bras musculares tipo II (de contracción rápida), menor sincronización de las unidades motoras y deterioro de la calidad muscular y la función de la miosina. Las consecuencias funcionales de la pérdida de bras musculares relacionadas con la edad pueden moderarse a través de la actividad física regular, ya que las personas activas muestran trayectorias más favorables de atro a muscular y, potencialmente, pueden recuperar las pérdidas acumuladas durante períodos de relativa inactividad.10, 16

Beneficios

Cada tipo de ejercicio individual puede bene ciar diferentes factores relacionados con la salud, por lo que la combinación de todos es esencial para un programa de ejercicio efectivo en la población de adultos mayores.

• Mejora los factores de riesgo cardiovasculares. Existe evidencia de alta calidad de que el entrenamiento aeróbico (AET) de intensidad moderada-alta mejora signi cativamente el VO2max en adultos mayores, mejora el control glucémico, las pruebas de rendimiento y otros parámetros de fragilidad, incluidos el VO2max y el Cuestionario de Estado Funcional.11 Los bene cios del entrenamiento aeróbico se observan con programas que duran más de 4 meses, y se observan bene cios aún mayores con programas de AET que duran más de 6 meses. El ejercicio aeróbico en enfermedades crónicas produce bene cios como una menor frecuencia cardíaca en reposo y durante el ejercicio, menores aumentos en la presión arterial, mayor contenido de transportadores de glucosa en los músculos, mejora en la acción de la insulina y reducción de los lípidos plasmáticos.

• Disminución del dolor.Mejoría de los síntomas relacionados por ejemplo con la artrosis de rodilla y cadera, dolores crónicos de cuello y puntos gatillo en la espalda.

• Disminución de la sarcopenia mejorando la masa muscular, la fuerza y la función, relacionada sobre todo con entrenamiento de fuerza o de resistencia.10

• Mejora la movilidad articular de los adultos mayores, disminuyendo así la postura cifótica, el riesgo de fracturas vertebrales osteoporóticas y mejorando la habilidad de recuperación tras un evento traumático agudo.17

• Reduce y previene caídas y lesiones relacionadas con caídas con la actividad física que combina entrenamiento de equilibrio, fuerza, marcha y funcional (por ejemplo, actividad física multicomponente). El equilibrio o estabilidad proporciona una mejora en la prueba de organización sensorial, especialmente en el componente vestibular, y en las medidas de la prueba de límites de estabilidad.11

• Disminuye y retrasa el deterioro de la salud ósea (la osteoporosis).

• Mejora las medidas de adiposidad.18

• Mejora la capacidad funcional del individuo, lo que supone una mayor independencia en su vida diaria. Existe una relación inversa entre el volumen de actividad física aeróbica y el riesgo de limitaciones en la función física en la población general de adultos mayores.

• Disminuye la mortalidad.

• Mejoría de la calidad de vida. Un estilo de vida físicamente activo promueve sensaciones de bienestar.

• Menor riesgo de desarrollar deterioro cognitivo y demencia.

Recomendaciones:

Las recomendaciones de ejercicio deben adaptarse individualmente a las habilidades, precauciones y objetivos de cada persona. El programa ideal debe incluir componentes de ejercicio aeróbico, de resistencia,

exibilidad y equilibrio. Además, deben tener una intensidad, volumen y duración su cientes para lograr los máximos bene cios.

• Programa de ejercicio aeróbico:

Inicialmente, el programa de ejercicio aeróbico para un adulto mayor debe comenzar con un nivel bajo de actividad y, idealmente, progresar a una actividad moderada (50%–60% del VO2max previo al entrenamiento).

El nivel promedio de actividad moderada para la mayoría de los adultos mayores es de 2.5 a 5.5 equivalentes metabólicos (MET), lo que equivale a caminar a una velocidad de 2.0 a 4.5 millas por hora (mph) o andar en bicicleta a 10 mph o menos.19 Una recomendación más fácil de seguir para el individuo es hacer ejercicio a la intensidad máxima mientras aún puede mantener una conversación con facilidad. Para lograr un nivel de esfuerzo seguro y adecuado, se recomienda que los adultos mayores comiencen en un programa de ejercicio supervisado. El ejercicio aeróbico debe realizarse al menos 3 días a la semana, por un total de 30 minutos, con períodos de calentamiento y enfriamiento de 5 a 10 minutos de actividad de baja intensidad. Los bene cios del ejercicio aeróbico (AET) se observan con programas que duran más de 4 meses, y los bene cios son aún mayores con programas de AET que duran más de 6 meses.11

Se recomienda que el ciclismo, el caminador elíptico y los ejercicios acuáticos aeróbicos sean considerados como alternativas para los adultos mayores con condiciones que puedan limitar la actividad que implique soporte de peso. El ciclismo estacionario puede considerarse como una opción para los adultos mayores con dolor lumbar o mal equilibrio.

Complementar el entrenamiento de resistencia tradicional con entrenamiento de potencia de alta velocidad debe considerarse como un método de entrenamiento más óptimo. 20 Los ejercicios de

resistencia acuática deben considerarse como una alternativa para los adultos mayores con mal equilibrio y condiciones que puedan limitar la actividad de soporte de peso.

• Programa de ejercicios de fortalecimiento:

El programa inicial de ejercicios de fortalecimiento para los adultos mayores debe comenzar con baja intensidad (40%–50% del 1RM, o ejercitarse hasta el punto de fatiga). Si la persona siente dolor o tiene debilidad considerable al realizar el ejercicio, se debe utilizar el fortalecimiento isométrico. Si la persona tiene más experiencia en ejercicio o cuando el dolor y la debilidad mejoran, el programa debe progresar a ejercicios de intensidad moderada (60%–70% del 1RM) e intensidad alta (80% del 1RM), que han mostrado mayores bene cios para la salud como se mencionó anteriormente. Estos ejercicios deben realizarse de 2 a 3 veces por semana, con 10 a 15 repeticiones; deben trabajarse los principales grupos musculares, incluidos los músculos del core y de la cadera, que son esenciales para la prevención de caídas.11

• Programa de ejercicio de exibilidad:

El ejercicio de exibilidad se re ere a actividades diseñadas para preservar o extender el rango de movimiento (ROM) alrededor de una articulación. Mantener un estiramiento durante 10 a 30 segundos en el punto de tensión mejora el ROM de la articulación, sin que se observe un bene cio signi cativo por períodos más largos. Las personas mayores pueden lograr mayores mejoras en el ROM con duraciones más largas (30–60 segundos) de estiramiento. Repetir cada ejercicio de exibilidad de 2 a 4 veces es efectivo, con la mejora del ROM de la articulación ocurriendo entre las 3 y las 12 semanas, si se realiza con una frecuencia de al menos 2 a 3 veces por semana; se alcanza un mayor bene cio si se hace a diario. El objetivo es alcanzar 60 segundos de tiempo total de estiramiento por ejercicio de exibilidad, descansando entre los estiramientos durante aproximadamente 30 a 60 segundos. Se debe

ajustar la duración y las repeticiones según las necesidades individuales. En los pacientes mayores, se pre eren actividades que mantengan o aumenten la exibilidad mediante estiramientos sostenidos de intensidad moderada para cada grupo muscular principal y movimientos estáticos en lugar de balísticos. Se necesita más investigación antes de hacer recomendaciones universales sobre el momento del estiramiento en relación con otras actividades de ejercicio. No obstante, según la evidencia disponible, quienes participen en un programa de acondicionamiento físico general deben realizar ejercicios de exibilidad después del ejercicio cardiorrespiratorio o de resistencia, o como un programa independiente.11, 21

• Programa de ejercicio de equilibrio:

Las guías de prescripción de ejercicio recomiendan utilizar actividades que incluyan lo siguiente: posturas cada vez más difíciles que reduzcan gradualmente la base de soporte (de pie sobre dos piernas a de pie sobre una pierna), movimientos dinámicos que sobre terrenos de entrenamiento de equilibrio, como el fortalecimiento de la parte inferior del cuerpo y caminar

difíciles, mejoran signi cativamente el equilibrio en muchos estudios.

adultos saludables deben realizarse 2 a 3 días por semana, particularmente para los adultos mayores que desean mejorar su función y prevenir caídas. Inicialmente, se aíslan músculos individuales con el objetivo de combinar varios músculos en movimientos simples en posiciones estables y en un solo plano cardinal. La di cultad del programa se incrementa aumentando la velocidad, agregando movimientos multidireccionales, añadiendo cargas fuera del eje en todos los planos cardinales, y utilizando super cies progresivamente inestables. La progresión a un nivel superior de estabilidad sólo debe hacerse cuando los pacientes hayan completado adecuadamente el nivel anterior, teniendo cuidado de no añadir inestabilidad externa a la inestabilidad interna.22 El entrenamiento neuromotor, como tai-chi, qigong y yoga, incorpora habilidades motoras, como equilibrio, coordinación, marcha, agilidad y entrenamiento

ejercicio

Ejercicio aeróbico 3-5 días a la semana

Ejercicio de fortalecimiento Peso libre Bandas elásticas 2-3 veces por semana

Ejercicio de flexibilidad 2-3 veces por semana

Ejercicio de equilibrio 2-3 veces por semana

Terapia ocupacional (TO) Según recomendación del terapeuta

propioceptivo, lo que ayuda a mejorar el equilibrio, la agilidad, la fuerza muscular y reducir el riesgo de caídas.

Los tratamientos de terapia ocupacional (TO) para trastornos de equilibrio y prevención de caídas se enfocan en mejorar la estabilidad postural, la fuerza, la resistencia, la conciencia propioceptiva y la movilidad funcional segura. Actividades como vaciar el lavavajillas o vestirse de pie ayudan a fortalecer los músculos posturales, mejorar el equilibrio y promover la independencia, además de enseñar técnicas de conservación de energía y seguridad.21 El Programa de Ejercicio Otago fue desarrollado y probado por el Grupo de Investigación para la Prevención de Caídas de Nueva Zelanda especí camente para reducir las caídas en personas mayores.23 El mismo incluye un programa de fortalecimiento y balance.

Moderada (50% - 60% VO2max) Alta (70 - 80% VO2max)

Baja intensidad (40% - 50% 1RM), progresando a moderada (60% - 70% 1RM) y alta (80% 1RM)

Moderada (estiramiento sostenido)

Baja (enfoque en la estabilidad y control postural)

30 mins (moderada) o 20 min (alta) por sesión, con calentamiento y enfriamiento de 5-10 min

10-15 repeticiones por ejercicio

10-30 segundos por estiramiento, 2-4 repeticiones por ejercicio

10-20 minutos por sesión

Baja (focalizada en movimientos funcionales)

Depende de la actividad

Comenzar con actividad de bajo nivel y progresar a moderada. Actividades como correr, caminar, bicicleta o ejercicios acuáticos.

Trabajar los principales grupos musculares, especialmente core y caderas, para prevención de caídas.

Asegurar estiramientos moderados por 30-60 segundos para mejorar el ROM. Preferir estiramientos estáticos.

Incluir actividades que desafíen el equilibrio y la estabilidad, como levantamientos de talón y caminar sobre terrenos irregulares.

Actividades funcionales como vestirse de pie o vaciar el lavavajillas, para mejorar la estabilidad y la independencia.

Precauciones

La elección de los tipos y cantidades apropiados de actividad física puede verse afectada por condiciones crónicas y discapacidad. Estas personas pueden desear consultar con un especialista en actividad física o un profesional de la salud para recibir orientación sobre los tipos y cantidades de actividad adecuados para sus necesidades individuales, habilidades, limitaciones funcionales/complicaciones, medicamentos y plan de tratamiento general.

Los adultos mayores que planean participar en un programa de ejercicio deben someterse a una evaluación previa a la participación para evaluar los riesgos potenciales (principalmente cardiovasculares) que puedan requerir modi caciones especí cas en la prescripción del ejercicio. La hipertensión no controlada, la angina inestable, el bloqueo cardíaco de tercer grado, el infarto de miocardio reciente o la insu ciencia cardíaca aguda son contraindicaciones absolutas para el ejercicio en adultos mayores.19 Otros factores, como problemas de equilibrio, dé cits visuales, la polimedicación, y enfermedades vasculares periféricas y neuropáticas, también deben ser evaluados. Se debe proporcionar educación sobre una adecuada hidratación y nutrición durante el ejercicio, ya que el mecanismo de sed en los adultos mayores es menos sensible.10 El ejercicio puede aumentar el riesgo de lesiones musculoesqueléticas. Realizar calentamientos y enfriamientos, ejercicios de exibilidad y una progresión gradual en volumen e intensidad deben ayudar a reducir estos riesgos.21 El dolor o la discapacidad musculoesquelética se ha citado como una razón para no hacer ejercicio en hasta la mitad de los adultos mayores, mientras que el hábito es el mejor predictor de la inactividad. Superar la inactividad habitual es uno de los desafíos más importantes a la hora de prescribir un programa de ejercicio para los adultos mayores.

Conclusiones

Existe evidencia destacada de que la actividad física tiene muchos bene cios favorables para los adultos mayores, mejorando la función física, los factores de riesgo cardiovasculares, la mortalidad por todas las causas y la calidad de vida en general, entre otros. Las recomendaciones de ejercicio deben ser adaptadas individualmente a las habilidades, precauciones y objetivos de cada persona. El programa ideal debe incluir componentes de ejercicios aeróbicos, de resistencia, exibilidad y equilibrio. También deben tener su ciente intensidad, volumen y duración para lograr los máximos bene cios. Como siatras, debemos ser líderes en la promoción de la actividad física en nuestra población mayor, no solo con nes terapéuticos, sino también como prevención y reducción de riesgos ante los cambios que conlleva el envejecimiento.

Referencias:

1. Envejecimiento y salud. Organización Mundial de la Salud. October 1, 2024. Accessed March 9, 2025. https:// www.who.int/es/news-room/fact-sheets/detail/ageingand-health

2. Administration for Community Living. 2023 Pro le of Older Americans. U.S. Department of Health and Human Services; 2024. https://acl.gov/sites/default/ les/Pro le%20 of%20OA/ACL_Pro leOlderAmericans2023_508.pdf

3. Kalachea A, Keller I. El envejecimiento de la población. Un reto global y una realización integral. Rev Esp Geriatr Gerontol. 2001;36(S3):12-15.

4. Nelson ME, Rejeski WJ, Blair SN, et al. Physical Activity and Public Health in Older Adults: Recommendation from the American College of Sports Medicine and the American Heart Association. Med Sci Sports Exerc. 2007;39(8):14351445. doi:10.1249/mss.0b013e3180616aa2

5. WHO Guidelines on Physical Activity and Sedentary Behaviour. 1st ed. World Health Organization; 2020.

6. Persona adulta mayor. Poder Judicial de Puerto Rico. August 2023. Accessed March 9, 2025. https:// poderjudicial.pr/educacion-a-la-comunidad/informacionsobres-temas-legales/problematicas-sociales-comunes/ persona-adulta-mayor/#:~:text=La%20Ley%20 N%C3%BAm.,%E2%80%9Cpersonas%20de%20 edad%20avanzada%E2%80%9D.

7. Tercera edad. In: Diccionario Panhispánico Del Español Jurídico. ; 2024. Accessed March 9, 2025. https://dpej.rae. es/lema/tercera-edad#:~:text=Gral.,50.

8. Madaria Z. ¿Qué son la actividad física, el ejercicio y el deporte? September 1, 2018. Accessed March 9, 2025. https://fundaciondelcorazon.com/ejercicio/conceptosgenerales/3150-que-son-la-actividad- sica-el-ejercicio-yel-deporte.html

9. Huang G, Gibson CA, Tran ZV, Osness WH. Controlled Endurance Exercise Training and VO2max Changes in Older Adults: A Meta-Analysis. Prev Cardiol. 2005;8(4):217-225. doi:10.1111/j.01973118.2005.04324.x

10. Concannon LG, Grierson MJ, Harrast MA. Exercise in the Older Adult: From the Sedentary Elderly to the Masters Athlete. PM&R. 2012;4(11):833-839. doi:10.1016/j. pmrj.2012.08.007

11. Chodzko-Zajko WJ, Proctor DN, Fiatarone Singh MA, et al. Exercise and Physical Activity for Older Adults. Med Sci Sports Exerc. 2009;41(7):1510-1530. doi:10.1249/ MSS.0b013e3181a0c95c

12. Jackson AS, Beard EF, Wier LT, Ross RM, Stuteville JE, Blair SN. Changes in aerobic power of men, ages 25-70 yr. Med Sci Sports Exerc. 1995;27(1):113-120. doi:10.1249/00005768-199501000-00020

13. Fleg JL, Strait J. Age-associated changes in cardiovascular structure and function: a fertile milieu for future disease. Heart Fail Rev. 2012;17(4-5):545-554. doi:10.1007/ s10741-011-9270-2

14. Lexell J, Taylor CC, Sjöström M. What is the cause of the ageing atrophy? J Neurol Sci. 1988;84(2-3):275-294. doi:10.1016/0022-510X(88)90132-3

15. Faulkner JA, Larkin LM, Cla in DR, Brooks SV. Agerelated Changes in the Structure and Function of Skeletal Muscles. Clin Exp Pharmacol Physiol. 2007;34(11):10911096. doi:10.1111/j.1440-1681.2007.04752.x

16. Cress ME, omas DP, Johnson J, et al. E ect of training on VO2max, thigh strength, and muscle morphology in septuagenarian women. Med Sci Sports Exerc. 1991;23(6):752???758. doi:10.1249/00005768199106000-00017

17. Reddy RS, Alahmari KA. E ect of Lower Extremity Stretching Exercises on Balance in Geriatric Population. Int J Health Sci. 2016;10(3):389-395.

18. Galloza J, Castillo B, Micheo W. Bene ts of Exercise in the Older Population. Phys Med Rehabil Clin N Am. 2017;28(4):659-669. doi:10.1016/j.pmr.2017.06.001

19. Nied RJ, Franklin B. Promoting and Prescribing Exercise for the Elderly. Am Fam Physician. 2002;65(3):419-426.

20. Sayers SP, Gibson K. A Comparison of High-Speed Power Training and Traditional Slow-Speed Resistance Training in Older Men and Women. J Strength Cond Res. 2010;24(12):3369-3380. doi:10.1519/ JSC.0b013e3181f00c7c

21. Garber CE, Blissmer B, Deschenes MR, et al. Quantity and Quality of Exercise for Developing and Maintaining Cardiorespiratory, Musculoskeletal, and Neuromotor Fitness in Apparently Healthy Adults: Guidance for Prescribing Exercise. Med Sci Sports Exerc. 2011;43(7):13341359. doi:10.1249/MSS.0b013e318213fe

22. Enix D, Schulz J, Flaherty J. Balance Problems in the Geriatric Patient. Top Integr Health Care. 2011;2(1). http://www.tihcij.com/Articles/Balance-Problems-inthe-Geriatric-Patient.aspx?id=0000256

23. Otago Exercise Programme. Physiopedia. Accessed March 10, 2025. https://www.physio-pedia.com/Otago_ Exercise_Programme

Plexopatía braquial del cordón lateral luego de un reemplazo valvular

aórtica transcutáneo (RVAT) por vía trans-axilar izquierda

Caso aceptado para presentación en la convención anual de la Academia Americana de Medicina Física y Rehabilitación (AAAPMR, por sus siglas en inglés), Noviembre 2024.

Descripción del caso:

Paciente masculino de 72 años con historial de estenosis aortica severa quien se presentó con parestesias, debilidad y dolor en los primeros tres dígitos de la mano izquierda pocos días después de un reemplazo de válvula aortica transcutánea (RVAT) por vía trans-axilar izquierda. Fue consultado al servicio de medicina física y rehabilitación para la realización de un estudio electrodiagnóstico luego de hallazgos clínicos sugestivos de lesión a nervio periferal luego de la intervención. La examinación física fue consistente con atro a del musculo del bíceps izquierdo, debilidad de la extremidad superior (ES) y disminución de la sensación en la parte lateral del antebrazo izquierdo.

Evaluación/resultados:

Se realizo un CT de cabeza cuyo resultado fue negativo para patología intracraneal aguda y un CT cervical que mostró cambios degenerativos en múltiples niveles. Un MRI de extremidad superior izquierda demostró cambios consistentes con patología de manguito rotador izquierdo, atro a muscular pero poca visibilidad del plexo braquial debido a artefacto de movimiento. El estudio de conducciones nerviosas y electromiogra a (NCS/ EMG) realizado mostró evidencia electrodiagnóstica de una lesión del plexo braquial izquierdo que afectaba el cordón lateral. Después del diagnóstico, el paciente comenzó el proceso de rehabilitación con una respuesta inicial adecuada.

Discusión:

Los procedimientos cardiovasculares están dando paso a las intervenciones endovasculares y, aunque las lesiones a nervios periferales son raras y generalmente transitorias, las lesiones del plexo braquial se documentan con frecuencia después de RVAT

a través de esternotomía. Sin embargo, hay poca evidencia documentada sobre lesiones después del abordaje transaxilar. El mecanismo de las lesiones incluye la compresión de nervios y la isquemia nerviosa asociada con sitios de punción inadecuados. Los factores alarmantes para sospechar una complicación neuropática focal en este paciente fueron una presentación rápida y progresión de los síntomas con una atro a muscular evidente que priorizó el referido temprano para evaluación, lo que demuestra la importancia de los estudios electro siológicos en el diagnóstico temprano de una neuropatía del plexo braquial.

Conclusión:

La sospecha clínica de lesiones del plexo braquial debe surgir en un paciente con un historial de procedimientos cardiovasculares recientes y una presentación aguda de una neuropatía periferal focal. La sospecha clínica temprana y las evaluaciones diagnósticas en conjunto con el manejo apropiado deben priorizarse en este cohorte de pacientes, debido a que el pronóstico es bueno y en la mayoría de los casos la recuperación es posible con un seguimiento y periodo de rehabilitación adecuado. Sin embargo, retrasos en el manejo y tratamiento pueden resultar en persistencia de los síntomas, los cuales pueden resultar en secuelas a largo plazo y discapacidad funcional que podría ser temporera y en algunos casos permanente.

Enfermedad rara de la placa de crecimiento radial en un adulto joven que responde a terapias – ‘Deformidad de Madelung’: Informe de caso

Edgar A. Pérez-Curet, MD, MPH; Anna V. Blanco-Cintrón, MD; Anelys Torres-Rivera, MD

Poster presentado en: Convención Anual de la Academia de Fisiatras Académicos (AAP, por sus siglas en inglés) en Phoenix, Arizona, el día 27 de febrero de 2025.

Diagnóstico del caso:

Deformidad de Madelung en una fémina joven

Descripción del caso:

Una paciente de 28 años, profesional de contabilidad, fue evaluada debido a dolor persistente en ambos antebrazos, particularmente en las muñecas y manos. Durante la evaluación, se encontraron protrusiones óseas en las muñecas, con limitación signi cativa del movimiento y episodios ocasionales de dolor intenso que afectaban su desempeño laboral. Las imágenes revelaron curvatura de los huesos en ambos antebrazos y un aumento en el espacio articular a nivel de la muñeca. El médico de atención primaria intentó aliviar los síntomas utilizando férulas para las muñecas, pero la paciente no experimentó mejoría alguna.

La paciente presentó signos de la deformidad de Madelung durante el examen físico. Ella optó por un manejo conservador y se sometió a ocho sesiones de terapia ocupacional, que incluyeron terapia láser, baños de para na, ejercicios de deslizamiento de tendones y actividades adaptativas para la vida diaria. Este tratamiento resultó en una mejora signi cativa de los síntomas y una notable mejoría en sus actividades cotidianas.

Discusión:

La deformidad de Madelung es un trastorno congénito poco frecuente que afecta las muñecas y está causada por un crecimiento anormal de la sis radial distal. En su forma congénita, se cree que se debe al desarrollo anómalo del ligamento de Vickers, que limita el crecimiento distal del radio. Sin embargo, también puede adquirirse a través de una lesión traumática. Esta afección puede provocar limitaciones graves, y el tratamiento varía según diferentes factores, siendo necesaria en muchos casos una evalua-

ción quirúrgica. Si bien el manejo conservador es efectivo en casos de deformidad de Madelung leves a moderados, este caso sugiere que las terapias y los tratamientos pueden desempeñar un papel en la mejora del rango de movimiento, la reducción del dolor, el aumento de la fuerza y la mejora de la calidad de vida en casos moderados a severos en el trastorno de deformidad de Madelung.

Imágenes:

Este caso resalta cómo la deformidad de Madelung (DM) no tratada en un adulto joven puede limitar de manera signi cativa la calidad de vida. Si bien la cirugía es importante, un programa estructurado de terapias también podría mejorar los resultados. Futuras investigaciones sobre tratamientos alternativos, como la terapia láser utilizada en este caso, podrían optimizar aún más los resultados.

Conclusión:

Hallazgos de imágenes:

Se observa un arqueamiento de la diá sis radial con aumento del espacio interóseo a nivel de la articulación radioulnar distal. También se aprecia subluxación dorsal de la articulación radioulnar distal en la proyección lateral.

Existe una deformidad en forma de “V” en los huesos proximales del carpo, con el hueso lunar proyectándose en el ápice. Hay varianza ulnar positiva.

No se observan fracturas agudas ni dislocaciones. No se aprecian calci caciones intraarticulares.

Impresión:

Deformidad del radio distal y del hueso ulnar distal con subluxación dorsal de la articulación radioulnar, según lo descrito, altamente sugerente de deformidad de Madelung.

QUÉ PASA EN LO ACADÉMICO:

ElRecinto de Ciencias Médicas

Envejecimiento y rehabilitación geriátrica en Puerto Rico

envejecimiento poblacional es uno de los retos más signi cativos que enfrenta Puerto Rico. Según los datos recientes, la población mayor de 65 años representa una proporción creciente, con implicaciones importantes para el cuidado de la salud y el bienestar de nuestra comunidad. Este cambio demográ co exige que los profesionales médicos estén preparados para abordar las necesidades únicas de esta población en rápida expansión.

Con esto en mente, el Programa de Residencia en Medicina Física y Rehabilitación de la Universidad de Puerto Rico ha iniciado esfuerzos innovadores para incluir un currículo especializado en rehabilitación geriátrica. Este proyecto busca entrenar a los futuros siatras para ofrecer cuidado integral, compasivo y basado en evidencia para pacientes geriátricos, promoviendo no solo su rehabilitación física, sino también su calidad de vida y bienestar general.

¿Por qué rehabilitación geriátrica?

La rehabilitación geriátrica se centra en mejorar las capacidades funcionales y prevenir discapacidades en adultos mayores, ayudándolos a recuperar independencia

y a adaptarse a los desafíos asociados con condiciones como artritis, accidentes cerebrovasculares, fracturas, deterioro cognitivo y enfermedades crónicas.

Además, el enfoque interdisciplinario permite que los siatras trabajen junto a terapeutas físicos y ocupacionales, psicólogos, nutricionistas y otros profesionales de la salud para ofrecer atención integral. Esto es crucial en una población que frecuentemente enfrenta múltiples diagnósticos médicos y sociales complejos.

Nuestra visión del currículo en rehabilitación geriátrica

El currículo propuesto para el programa de residencia incluirá:

• Rotaciones clínicas especializadas: Exposición a pacientes geriátricos en unidades de hospitalización y clínicas ambulatorias.

• Competencias fundamentales: Evaluación funcional, prescripción de dispositivos de asistencia, manejo del dolor y estrategias para prevenir caídas.

• Perspectiva multidisciplinaria: Trabajo colaborativo con otros especialistas para atender las necesidades integrales del paciente geriátrico.

• Ética y bioética: Consideraciones sobre la autonomía, calidad de vida y decisiones al nal de la vida.

Este currículo no solo responde a las necesidades actuales de la población geriátrica en Puerto Rico, sino que también posiciona al programa de residencia de la UPR como líder en la formación de especialistas en rehabilitación geriátrica en la región.

Compromiso académico y comunitario

La misión del programa es formar siatras capaces de enfrentar los desafíos del envejecimiento con empatía, integridad y excelencia. Además, busca promover iniciativas de investigación que aborden los problemas y soluciones para esta población,

fomentando una cultura de aprendizaje continuo y mejoramiento de prácticas.

El envejecimiento de la población es una realidad que afecta a todos los sectores sociales y económicos de Puerto Rico. Por ello, el compromiso del programa de residencia de la UPR trasciende el ámbito académico, contribuyendo activamente al bienestar de nuestras comunidades mayores.

Conclusión

El programa de residencia en Medicina Física y Rehabilitación de la Universidad de Puerto Rico está tomando un paso decisivo hacia el futuro con la inclusión de un currículo especializado en rehabilitación geriátrica. Este esfuerzo es re ejo del compromiso de preparar médicos siatras para enfrentar los retos que trae el envejecimiento poblacional, garantizando una atención médica de calidad para la población más vulnerable de nuestra isla.

Hospital de Veteranos QUÉ PASA EN LO ACADÉMICO:

Saludos desde el Hospital de Veteranos de San Juan.

Eltiempo vuela y ya culmina otro año académico.

Estamos contentos de presentarle a la comunidad de siatras nuestros más recientes graduandos: Dra. Valeria Lozada, Dr. Nelson Castillo y Dr. Emanuel Bernardi. Valeria va a completar una subespecialidad en medicina neuromuscular en el Recinto de Ciencias Médicas, Nelson va a especializarse en rehabilitación oncológica en University of Miami/Jackson Health System y Emanuel va a incorporarse a la práctica privada aquí en Puerto Rico. Estamos muy orgullosos de sus logros y no nos cabe duda de que van a triunfar donde quiera que vayan, pues son excelentes profesionales y mejores personas.

Pero el nal de un ciclo signi ca el principio del otro. Estamos sumamente contentos de darle la bienvenida a nuestra residencia a los doctores José Manuel Figueroa, Gabriel López Medrano y Martín Meléndez Ortiz. La calidad de los estudiantes que están solicitando a nuestra especialidad es cada vez mejor y estos jóvenes fueron escogidos entre un grupo nutrido de candidatos excelentes. Igualmente se designaron como jefes de residentes para el próximo año académico a los doctores Joanneth Padró y Edgar Pérez Curet. Sabemos que el futuro de la siatría

está en buenas manos y que este nuevo grupo va a seguir la tradición de excelencia de la siatría puertorriqueña.

Es un gran privilegio ser parte de la educación de estudiantes y residentes, pero también es un reto, sobre todo en medio de los problemas que la práctica médica enfrenta. El pasado 11 de abril la facultad de nuestro programa participó en un retiro para repasar los requisitos del ACGME, escuchar las expectativas de los residentes y discutir las preocupaciones del director del programa. Allí también hablamos de las diferencias entre las generaciones, como comunicarnos mejor y como implementar estrategias para fomentar la calidad en la práctica médica. Al nal tuvimos tiempo para compartir nuestras impresiones y buscar formas de desarrollar más nuestro rol como educadores. En n, fue una experiencia enriquecedora y todos salimos con nuevas ideas y herramientas para seguir construyendo un mejor programa.

En el pasado habíamos resaltado la destacada participación de nuestros residentes en las convenciones de las asociaciones nacionales de Fisiatría, especialmente presentando posters cientí cos. Pero en la pasada asamblea de la Asociación de Fisiatras Académicos en Phoenix,

Arizona nuestros residentes tuvieron la oportunidad de destacarse en otro rol: participando en el primer torneo de Pickleball organizado por la Fundación de PM&R. Nuestro equipo compitió con otros programas de residencia de los Estados Unidos y le enseñaron que aquí también se juega. Gracias a los doctores Anna Blanco y Asdrúbal Rivera por representarnos bien y enseñar nuestra bandera en el “Exhibit Hall”. Muchas felicidades y todos a practicar para el próximo año.

No podemos terminar este escrito sin reconocer a la Dra. Ana Cintrón por sus años de compromiso y excelente trabajo en nuestro programa de residencia del

Hospital de Veteranos. En el momento que la doctora se mueve a otros retos y responsabilidades agradecemos enormemente sus enseñanzas y todas las aportaciones que hizo a nuestra residencia a través de los años. Mas allá de su gestión como directora de la residencia del 2006 al 2015, ella siempre ha sido una gran siatra académica y maestra para todos nosotros, especialmente en las áreas de medicina deportiva y amputados. Nuestros siatras jóvenes tienen en ella un modelo a seguir y el enorme reto de seguirle los pasos a una de las pioneras en la medicina deportiva de Puerto Rico. Muchas felicidades y éxito en sus nuevos proyectos.

Residentes informan: Hospital de Veteranos

Mensaje de los jefes de Residentes de la residencia de Medicina Física y Rehabilitación del Hospital de Veteranos

Enel 2025, el programa de Medicina Física y Rehabilitación del Hospital de Veteranos de Puerto Rico se ha comprometido con continuar enriqueciendo la experiencia académica y clínica de sus residentes.

Los residentes se han destacado logrando tres publicaciones en revistas virtuales tales como PM&R Knowledge Now y Muscle & Nerve con casos cubriendo temas variados desde radiculopatía en una extremidad residual post amputación, rehabilitación en trasplante de hígado y en temas de medicina funcional. Mas aún, durante la conferencia anual 2025 de la Asociación de Fisiatras Académicos (“Association of Academic Physiatrists”, AAP) los residentes presentaron un total de siete posters, con ocho residentes logrando aceptación a presentar a la conferencia.

Además de publicar y presentar en foros académicos, los residentes y attendings han tomado de su tiempo para aprender a jugar “Pickleball,” teniendo prácticas entre semanales a mensuales. Inclusive en la conferencia de la AAP dos de nuestros residentes, Asdrúbal Rivera-Dones y Anna Blanco-Cintrón, representaron nuestro progra-

ma en un torneo a nivel nacional de los programas de residencia en siatría.

Este año ha estado lleno de muchos logros para nuestros residentes incluyendo la aceptación de nuestros Chief Residents a programas de Fellowships. El Dr. Nelson Castillo-Rivera fue aceptado al programa de Rehabilitación Oncológica en University of Miami/Jackson Health System y la Dra. Valeria Lozada-Miranda fue aceptada al programa de Medicina Neuromuscular en el Recinto de Ciencias Médicas. Aprovechamos para felicitar a los nuevos Chief Residents para el año académico 2025-2026 el Dr. Edgar Pérez-Curet y la Dra. Joanneth Padró ¡sabemos que harán un excelente trabajo! Por igual felicitamos y le damos la bienvenida a la clase entrante para el 2025 el Dr. José Manuel, Dr. Martin Meléndez y Dr. Gabriel López.

Chief Residents 2024-2025:

Dr. Nelson Castillo-Rivera

Dra. Valeria Lozada-Miranda

AGENDA

THURSDAY, JUNE 19, 2025

PRE- COURSE COMPREHENSIVE REVIEW OF INJECTIONS IN PM&R

9:00 a.m. – 5:30 p.m.Exhibitors

8:30 a.m. – 9:00 a.m.Registration

9:00 a.m. – 9:30 a.m.Review of Steroids Gerardo Miranda, MD

9:30 a.m. – 10:00 a.m.Review of Orthobiologics John Cianca, MD

10:00 a.m. – 11:00 a.m.Review of Upper Extremity Anatomy-guided Injections William Micheo, MD

11:00 a.m. – 12:00 p.m.Review of Upper Extremity Sono-guided Injections John Cianca, MD

12:00 p.m. – 1:00 p.m.Lunch

1:00 p.m.– 1:30 p.m.Review of Viscosupplementation David Soto Quijano, MD

1:30 p.m. – 2:30 p.m.Review of Lower Extremity Anatomy-guided Injections Gerardo Miranda, MD

2:30 p.m. – 3:30 p.m.Review of Lower Extremity Sono-guided Injections John Cianca, MD

3:30 p.m. – 4:00 p.m.Co ee Break

4:00 p.m. – 5:00 p.m.Trigger Point Needling Jay Shah, MD

FRIDAY, JUNE 20, 2025

ANNUAL MEETING • PM&R BEYOND: NOVEL CONCEPTS AND PRACTICES IN PHYSICAL MEDICINE AND REHABILITATION

7:30 a.m. – 7:55 a.m.Annual Meeting Registration and Continental Breakfast

7:30 a.m. – 5:00 p.m.Exhibitors

7:55 a.m. – 8:00 a.m.Introduction to the Conference Eduardo Maldonado, MD

8:00 a.m. – 8:30 a.m.Atypical Uses of Botulinum Toxin Maricarmen Cruz, MD

8:30 a.m. - 9:00 a.m.Benefits of Shockwave Therapy in PM&R Liza Hernández, MD

9:00 a.m. – 9:30 a.m.Updates in Regenerative Medicine

9:30 a.m. – 10:00 a.m.Co ee Break in Exhibitor’s Area

John Cianca, MD

10:00 a.m. – 11:00 a.m.Myofascial Trigger Points: Then & Now Jay Shah, MD

11:00 a.m. – 11:30 a.m.Chronic Pelvic Pain, Myofascial Trigger Points, and Central SensitizationJay Shah, MD

11:30 a.m. – 12:00 p.m.Obesity and Implications for the Physiatrist Elivette Zambrana, MD

12:00 p.m. – 1:00 p.m.Lunch

FRIDAY, JUNE 20, 2025

ANNUAL MEETING: PM&R BEYOND: NOVEL CONCEPTS AND PRACTICES IN PHYSICAL MEDICINE AND REHABILITATION

1:00 p.m. – 1:30 p.m. Management of Compression Fractures

1:30 p.m. – 2:00 p.m.

2:00 p.m. – 2:30 p.m.

2:30 p.m. – 3:00 p.m.

3:00 p.m. – 3:30 p.m.

3:30 p.m. – 4:00 p.m.

4:00 p.m. – 4:30 p.m.

4:30 p.m. – 5:00 p.m.

5:00 p.m. – 6:30 p.m.

The Senior Athlete: Considerations and Recommendations for Physical Well-being

Exercise Recommendations in Rheumatology

Resident’s Presentation: Research Projects/Case Reports

Co ee Break in Exhibitor’s Area

Neurostimulation Therapy in Chronic Pain

Sports Emergencies & Sideline Evaluation

Exercise and Return to Play in the Postpartum Patient

Exhibitor’s Reception

SATURDAY, JUNE 21, 2025

Carlos Rivera, MD

David Soto Quijano, MD

William Micheo, MD

VA Residents

Carlos Rivera, MD

Dr. Miguel Agrait

Dr. Alexander de la Rosa

ANNUAL MEETING: PM&R BEYOND: NOVEL CONCEPTS AND PRACTICES IN PHYSICAL MEDICINE AND REHABILITATION

7:30 a.m. – 8:00 a.m.

Annual Meeting Registration and Continental Breakfast

8:00 a.m. – 3:00 p.m.Exhibitors

8:00 a.m. – 8:30 a.m.

Understanding Upper Crossed Syndrome: The Impact of Muscle Imbalances on Posture and Pain

8:30 a.m. – 9:00 a.m.HIIT Overview and Benefits

9:00 a.m. – 9:30 a.m.

Advancements in Spina Bifida Rehabilitation: Exploring the New Functional Classification

9:30 a.m. – 10:00 a.m.Co ee Break in Exhibitor’s Area

10:00 a.m. – 10:30 a.m.Resident’s Presentation: Research Projects/Case Reports

10:30 a.m. – 11:00 a.m.Billing & Documentation in PM&R

11:00 a.m. – 12:00 p.m.Artificial Intelligence in Healthcare

12:00 p.m. – 1:00 p.m.Lunch

1:00 p.m. – 1:30 p.m.Tone Management in Pediatrics

1:30 p.m. – 2:00 p.m.EDX in the ICU

2:00 p.m. - 2:30 p.m.Sympathetic Storming after TBI

2:30 p.m. – 3:00 p.m.Post Breast Surgery Pain Syndrome

3:00 pm. - 3:30 p.m. APMFR Assembly

8:00 p.m. - 12:00 a.m. Social Event

Alexander de la Rosa, MD

Gerardo Miranda, MD

Ana Ortíz, MD

UDH Residents

Michele Rivero, CPC

Javier Camacho

Ana Ortíz, MD

Anelys Torres, MD

Raúl E. Rodríguez-Ramos, MD

Eduardo Maldonado, MD

• asocfisiatraspr@serrayserra.com

https://www.facebook.com/fisiatraspr https://www.instagram.com/fisiatraspr/ https://youtube.com/channel/UCpn57zZ6AmKJSiW-oEiXvqg

Turn static files into dynamic content formats.

Create a flipbook
Issuu converts static files into: digital portfolios, online yearbooks, online catalogs, digital photo albums and more. Sign up and create your flipbook.