Revista Kéramica n.º 378 Setembro/Outubro 2022

Page 1

KÉRAMICA

revista da indústria cerâmica portuguesa

CERÂMICA E SAUDE, BEM-ESTAR E CONFORTO

Edição Setemnro/Outubro . 2022 Publicação Bimestral €8.00 nº378

Posso apresentar-me? O meu nome é MOVIGEAR® performance

Sou o primeiro membro descentralizado da família MOVI-C ® e tenho vários recursos com elevado potencial. Confira por si mesmo!

O design do meu cárter é bastante compacto como eu sou composto por redutor, motor e eletrónica, não preciso de muito espaço. Além disso, peso até 50% menos do que as soluções de acionamento convencionais.

Poderá economizar energia e custos comigo graças à mais elevada classe de eficiência energética IE5, de acordo com IEC TS 60034-30-2, e à mais elevada classe de eficiência de sistema IES2, de acordo com IEC 61800-9-2.

Comigo, o comissionamento é simples e rápido - conecte e produza! A transmissão da chapa de caraterísticas eletrónica, assim como de vários sinais do motor para a eletrónica, ocorrem através da integração digital do motor, sem qualquer esforço adicional de instalação.

Sou ideal para aplicações de posicionamento desde a operação com controlo de velocidade, até ao posicionamento com o opcional encoder absoluto integrado, que conhece a sua posição mesmo após a falha de energia.

Comigo, o diagnóstico é simples e fiável, uma vez que posso fornecer informações sobre causas e medidas corretivas através da minha consola opcional, a qual também permite o arquivo de configurações para comparação futura. É uma alternativa local ao PC, rápida, simples e conveniente.

Pode-me integrar e operar de forma simples porque trabalho com todas as infraestruturas mais comuns baseadas em Ethernet, como PROFINET, EtherNet/IPTM, Modbus TCP, POWERLINK e EtherCAT® / SBusPLUS

Sou silencioso e trabalho muito bem, mesmo em áreas sensíveis, já que não preciso de ventilador e o meu nível de ruído é baixo. Possuo um design higiénico e uma versão opcional para aplicações em áreas húmidas.

A minha instalação é fácil e rápida e é possível em menos de 100 segundos! Também estou disponível com ligações exclusivas por conectores e a montagem no veio facilita a instalação mecânica.

Pode-me dimensionar de forma ótima e reduzir o número de variantes devido à minha elevada capacidade de sobrecarga, elevada gama de velocidades e binário constante em toda a gama de velocidade.

Sou particularmente indicado para transportadores horizontais, em diversos setores industriais, designadamente na logística, indústria alimentar e de bebidas, indústria automóvel e aeroportos. Questões? Contacte-nos: 231 209 670 / infosew@sew-eurodrive.pt

SEW-EURODRIVE—Driving the world

Editorial . 03

Destaque . 04

Apresentação da Marca Portugal Ceramics

Construção . 06

Construção Sustentável

Bem-Estar . 09

Construção Sustentável . 14

Smarthouses Portugal

Secção Jurídica . 19

A Sucessão nas Empresas Familiares - ‘Rei Morto, Rei Posto’

Associativismo . 21

21 23 30 32

Novos Órgãos Sociais da Apicer Portugal Ceramics apresenta-se na Feira Batimat em Paris

Informação Diversa . 30

Saúde . 11

Qualidade do Ar Interior: A Importância dos Materiais de Construção e Revestimento 11 17 25

Materiais Cerâmicos e de Cristalaria Versus Segurança Alimentar Implantes Dentários Cerâmicos – Uma Realidade Promissora na Medicina Dentária Laboratório do Cencal – Caldas da Rainha • Loiça em Contacto com Alimentos

Notícias & Informações . 35

Calendário de Eventos . 44

Por lapso e ao qual pedimos desculpa, no artigo “LUFAPO – UM PASSADO E UM FUTURO !” da edição nº 376 da revista, não foram atribuídos os respectivos créditos das fotografias e informações retiradas do blogue Cerâmica Modernista em Portugal, em https://ceramicamodernistaemportugal.blogspot.com/2016/05/a-marca-lufapo

Colaboradores

Propriedade e Edição

APICER - Associação Portuguesa das Indústrias de Cerâmica e de Cristalaria NIF: 503904023

Direção, Administração, Redação, Publicidade e Edição Rua Coronel Veiga Simão, Edifício C 3025-307 Coimbra [t] +351 239 497 600 [f] +351 239 497 601

[e-mail] info@apicer.pt [internet] www.apicer.pt

Tiragem 500 exemplares

Diretor Marco Mussini

Editor e Coordenação

Albertina Sequeira [e-mail] keramica@apicer.pt

Conselho Editorial Albertina Sequeira, António Oliveira, Marco Mussini, Martim Chichorro e Susana Rodrigues

Capa Nuno Ruano

Índice de Anunciantes

Albertina Sequeira, Alice Oliveira, Anabela Amado, André Chen, Filomena Girão, Gabriela Ventura, Inês Roque, Maria Lúcia Marques, Maria Manuela Baroso, Marisa Almeida, Martim Chichorro, Pedro Frade e Regina Santos

Paginação Nuno Ruano

Impressão

Gráfica Almondina - Progresso e Vida; Empresa Tipográfica e Jornalística, Lda Rua da Gráfica Almondina, Zona Industrial de Torres Novas, Apartado 29 2350-909 Torres Novas [t] 249 830 130 [f] 249 830 139 [email] geral@grafica-almondina.com [internet] www.grafica-almondina.com

Distribuição

Gratuita aos associados e assinatura anual (6 números) ; Portugal €36,00 (IVA incluído); União Europeia €60,00; Resto da Europa €75,00; Fora da Europa €90,00

Versão On-line https://issuu.com/apicer-ceramicsportugal

Notas

Proibida a reprodução total ou parcial de textos sem citar a fonte.

Os artigos assinados veiculam as posições dos seus autores.

Esta edição vem acompanhada da revista Técnica n.º 17 Setembro/Outubro 2022 (CTCV)

Esta edição inclui um destacável sobre Descarbonização – “Capacitação para Energias Renováveis”

AMBIENTE (Página 33) • BONGIOANNI MACHINE (Verso-Contra Capa) • CERTIF (Página 31) • CEVISAMA 2023 (Página29) • GOLDENERGY (Verso-Capa) • INDUZIR (Contra-Capa)

SEW-EURODRIVE (Página 1)

Conteúdos conforme o novo acordo ortográfico, salvo se os autores/colaboradores não o autorizarem Publicação Bimestral nº 378 . Ano XLVII . Setembro. Outubro. 2022 Depósito legal nº 21079/88 Publicação Periódica inscrita na ERC [Entidade Reguladora para a Comunicação Social] com o nº 122304 ISSN 0871 - 780X

Estatuto Editorial disponível em http://www.apicer.pt/apicer/keramica.php

Setembro . Outubro . 2022

Index
Certif com Mais 15% De Auditorias Ambiente - Feira Líder Internacional Novidades das Empresas Cerâmicas Portuguesas p.2 . Kéramica . Index

Na última revista Kéramica, o Dr. José Luís Sequeira ao escrever o seu último editorial, começou-o desejando aos novos Órgãos Sociais as maiores felicidades no desempenho de funções.

No primeiro editorial que escrevo como Presidente da Direcção da APICER, não posso deixar de agradecer ao meu antecessor, como também não posso deixar de agradecer aos Órgãos Sociais que nos antecederam a dedicação, o empenho e o compromisso que sempre colocaram na defesa dos interesses da APICER e dos associados.

Neste primeiro editorial que escrevo, também quero deixar nota da dedicação e do entusiasmo que encontrei nos colaboradores da APICER para aceitarem os novos desafios que as novas pessoas sempre trazem.

Estou seguro de que todas as anteriores Direções, de forma declarada ou apenas no silêncio de cada um dos seus membros, afirmaram que o seu objectivo seria fazer melhor do que fizeram os que os antecederam.

Esta Direcção também o afirma, de forma colectiva e clara… queremos fazer melhor!

Formulamos já um desejo honesto e sem precon ceitos de que, quem nos vier substituir, faça melhor do que aquilo que formos capazes de fazer.

Os temas centrais da Revista Kéramica, agora publicada, são cerâmica e saúde e cerâmica e conforto. O

conjunto de artigos que podemos encontrar nas páginas seguintes é elucidativo das potencialidades que a mistura e o trabalho de transformação dos componentes cerâmicos podem trazer como produto final.

Os produtos cujo fim útil é serem usados em saúde e conforto, são produtos de alto valor acrescentado que podem/devem apontar um caminho para a cerâmica portuguesa: inovar e criar produtos tecnológicos, com cada vez maior valor acrescentado

Ao coligir um conjunto de indicadores para ter uma “foto instantânea” do sector cerâmico e da cristalaria, fiquei positivamente surpreendido com aquilo que é hoje a realidade dos sectores que representamos.

Os gestores do sector cerâmico e da cristalaria não podem ter dúvidas do que valem e têm de ter a certeza que, juntos, associando esforços e preocupações e partilhando sucessos, as suas empresas valem ainda muito mais.

“Last but not the least”. A todos os associados da APICER manifesto, nestes difíceis dias que nos envolvem, a solidariedade, a disponibilidade e o entusiasmo da Direcção da APICER de tudo fazer para promover e defender os interesse da Indústria Cerâmica e da Cristalaria.

Indicadores Cerâmica Cristalaria

PME e Não PME (empresas com 10 ou mais trabalhadores) 175 7 N.º Trabalhadores 18.563 647

Volume de Negócios 1.333.967.086 € 57.983.535 € Valor Acrescentado Bruto 545.611.210 € 15.559.990 €

Produtividade aparente do trabalho 29.392 € 24.049 € Exportações 813.181.081 € 94.094.624 € Importações 226.946.672 € 71.119.469 €

Taxa de cobertura das importações pelas exportações 358% 132% N.º de mercados de exportação 158 126 Fonte: INE, Sistema de Contas Integradas das Empresas (dados preliminares de 2021 para a cerâmica e dados de 2020 para a cristalaria) e Estatísticas do Comércio Internacional de Bens (dados definitivos de 2021)

José Cruz Pratas (Presidente da Direção da APICER)

Setembro . Outubro . 2022
Editorial Editorial . Kéramica . p.3

Destaque

A Associação Portuguesa das Indústrias de Ce râmica e de Cristalaria (APICER) dinamizou no passado dia 22 de setembro, no Terminal de Cruzeiros do Porto de Leixões, a apresentação pública da marca Portugal Ceramics , num evento destinado a todas as empresas e empresários da indústria da cerâmica portuguesa, co municação social e organismos estatais e todos os inte ressados no sector cerâmico. Para além da apresentação da marca, foram anunciadas as principais iniciativas de promoção da cerâmica portuguesa nos mercados inter nacionais.

Um evento com especial interesse para os setores da Cerâmica Utilitária e Decorativa e da Cerâmica de Pa vimentos e Revestimentos.

O local escolhido foi o edifício do Terminal de Cruzeiros do Porto de Leixões, da autoria do arquiteto Luís Pedro Silva, que recebeu já importantes prémios e distinções, tanto na área da operação de cruzeiros, como

na área da arquitetura e design. De facto, o edifício tem uma grande relação com a cerâmica na medida em que o revestimento interno e externo do edifício é constituí do por peças de cerâmica. Uma obra de arquitetura vale como um todo, pelo que não se pode separar o módulo cerâmico hexagonal das elegantes superfícies curvilíneas que reveste, pretendendo ser a cerâmica a razão do tão grande sucesso do edifício. O local da apresentação era o mais indicado para a apresentação do evento.

Pretende-se com a marca Portugal Ceramics , que as diferentes audiências associem à cerâmica portuguesa a ideia de dominar a possibilidade (The Art of Possibi lity) – isto é, a capacidade de fazer com que as coisas aconteçam. Principalmente quando os clientes procu ram um parceiro para responder a um pedido específico, a um pedido difícil que os outros players têm dificuldade em dar resposta. O posicionamento sugerido tem tudo a ver com a nossa predisposição para encontrar a solução, dar resposta ao solicitado. Acreditamos que é ao estrei tar a ligação entre design e arte que criamos conexões verdadeiras sem limites. Queremos que a nossa cerâmica dê vida às emoções e aproxime pessoas e espaços.

Logo no início, José Pratas, Presidente da Dire ção da APICER, deu o tom, enfatizando a importância desta marca para todas as empresas de cerâmica portu guesas independentemente da sua dimensão, carteira ou estratégia.

O ex-presidente José Luís Sequeira partilhou com o público os principais objetivos estabelecidos no

Setembro . Outubro . 2022
p.4 . Kéramica . Destaque
por Martim Chichorro, Gestor de Marketing da APICER

início do projeto e avaliou positivamente o processo como um todo.

Jorge Marques dos Santos, presidente da CTCV afirmou que as marcas portuguesas podem sempre con tar com a experiência técnica da CTCV para inovar.

João Magalhães, responsável pela equipa de con ceção da marca, apresentou ao público uma explanação do processo de marca, partilhando, em poucas palavras, as principais fases e resultados.

O Arq. Luís Pedro Silva falou sobre como a sua perceção dos azulejos de cerâmica e a sua paixão pela ce râmica cresceu ao longo da sua carreira como arquiteto.

A vice-presidente da Direção da APICER, Cláudia Domingues, partilhou um discurso enérgico e emocio nante, sublinhando os esforços e as principais conquis tas realizadas pelas empresas portuguesas nos mercados estrangeiros e instando as empresas a unir os seus esfor ços em prol da indústria.

Finalmente, o Secretário de Estado da Economia, João Neves, transmitiu-nos uma mensagem de tranqui lidade afirmando que o Governo português está empe nhado em ajudar as empresas portuguesas a aumentar a sua competitividade.

Foi um gosto reunir algumas das pessoas mais influentes da nossa indústria, bem como jornalistas e entidades oficiais. Acreditamos poder afirmar que esta foi uma demonstração da Arte da Possibilidade.

No atual contexto de crise existencial neste se tor, está a haver um reforço da participação portuguesa em ações promocionais nos mercados externos. Os anos de 2022 e 2023 serão particularmente preenchidos, quer através da participação em feiras, quer através da realiza ção de seminários temáticos e missões inversas.

As ações de promoção da marca Portugal Ceramics para o subsetor da cerâmica utilitária e decorativa incluem a participação em feiras nos mercados da Alemanha, França, Itália e Estados Unidos. Para o subsetor dos pavimentos e revestimentos cerâmicos, os mercados-alvo são os mesmos, excluindo a Itália. Nestas iniciativas serão utilizados, além do vídeo, catálogos e outros suportes transversais de comunicação, e outros específicos como brochuras, folhetos e outro material gráfico, audiovisual e multimédia.

Já depois da apresentação da marca Portuga Ce ramics no Terminal de Cruzeiros do Porto de Leixões, foi apresentada a marca na feira Batimat em Paris, uma feira dedicada aos materiais de construção.

Estas iniciativas, tal como a marca apresentada em Matosinhos, inserem-se num projeto SIAC Interna cionalização (Sistema de Apoio a Ações Coletivas), cofi nanciado pelo FEDER no âmbito do Compete 2020, cujo período de execução decorre até 30 de junho de 2023 e com um orçamento que ronda os 930 mil euros.

Setembro . Outubro . 2022 Destaque . Kéramica . p.5
Destaque

Construção

CONSTRUÇÃO SUSTENTÁVEL

por Marisa Almeida, Inês Roque e Pedro Frade, Unidade de Ambiente e Sustentabilidade do CTCV

1. INTRODUÇÃO

De acordo com o Relatório de Brundtland o desen volvimento sustentável pode ser definido como o que permite satisfazer as necessidades das gerações atuais sem comprome ter a possibilidade das futuras gerações satisfazerem as suas. Já uma construção sustentável consiste na criação e planea mento responsável de um ambiente construído saudável, com base na otimização dos recursos naturais disponíveis e em princípios ecológicos, segundo a definição de Kibert apre sentada na Conferência Internacional sobre a Construção Sustentável em 1994.

Recorde-se que o sector da construção na Europa é responsável pelo consumo de cerca de metade dos recursos minerais extraídos, por mais de 35% dos resíduos gerados, e cerca de 20-30% do consumo energético (e consequentes ga ses com efeito de estufa - GEE) e 10-15% do consumo de água. Em Portugal, 62% da energia elétrica é consumida nos edifí cios e em termos de RCD (resíduos da construção e demoli ção), estimou-se uma produção de 7,5 milhões de toneladas (2005).

A sustentabilidade de uma construção depende das diversas dimensões do desenvolvimento sustentável (ambien tal, económica e social (Figura 1)) são consideradas ao longo do projeto. Segundo Kibert, uma construção sustentável deve seguir os seguintes princípios: reduzir o consumo de recursos, aumentar a reutilização dos recursos, reciclar materiais em fim de vida e utilizar recursos renováveis, proteger os sistemas naturais, eliminar os materiais tóxicos e fomentar a qualidade em todas as etapas do ciclo de vida. Por forma a caminhar para a sustentabilidade é importante aumentar o ciclo de vida da construção, nomeadamente construindo com durabilidade, assegurando um maior tempo de utilização do edificado e re duzindo os impactes ambientais.

O Pacto Ecológico Europeu (European Greal Deal) (COM 2019/640), bem como o Plano Europeu para a Econo

mia circular (COM 2020/98 de 11/03/2020 promovem estraté gias para tornar o sector da construção mais circular ao longo do seu ciclo de vida. Referem ainda a abordagem do desempe nho de sustentabilidade dos produtos de construção no con texto da revisão do Regulamento de Produtos de Construção, com inclusão de requisitos de teor reciclado; integrar a avalia ção do ciclo de vida (abordagem Level(s), metas de redução de carbono; melhorar a durabilidade e adaptabilidade de acordo com princípios de economia circular; rever as metas de valo rização de materiais dos resíduos de construção e demolição, entre outras.

Uma cidade sustentável define-se como um organis mo dinâmico e organizado, onde os seus cidadãos podem sa tisfazer as suas necessidades e melhorar o seu bem-estar, sem prejuízo (no presente o no futuro) do ambiente natural e das condições de vida de outras pessoas.

Setembro . Outubro . 2022 p.6 .
Kéramica . Construção
Figura 1 .
Objetivos da sustentabilidade na sua tripla dimensão.

A nível mundial encontram-se várias cidades com um desenvolvimento sustentável consolidado estando, algumas delas reconhecidas pela ONU como um modelo de susten tabilidade por apresentarem um baixo impacte ambiental, serem pensadas e construídas de forma a otimizarem os be nefícios da energia solar e do aproveitamento das águas das chuvas, valorizarem a produção alimentar local e orgânica e recorrerem a materiais naturais nas construções e valorizarem devidamente os resíduos.

2. CERTIFICAÇÃO DA SUSTENTABILIDADE DOS EDIFÍCIOS

A certificação da construção sustentável surge da ne cessidade de promover mecanismos que garantam a confor midade da construção com os princípios de desenvolvimento sustentável, sendo um processo efetuado por uma entidade externa, independente e acreditada que, com o auxílio de normas existentes, verifica a conformidade de um produto ou sistema. A nível nacional ainda não é obrigatória esta certifi cação, no entanto, a nível mundial alguns países já desenvol veram sistemas de certificação.

Alguns dos sistemas de certificação da sustentabilida de dos edifícios incluem o LEED (Leadership in Energy and Environmental Design), LiderA e o BREEAM, entre muitos outros.

• LEED: Para esta certificação é atribuída uma pontuação a diversas áreas de avaliação (prioridade regional, proces so integrado, localização e transporte, espaço sustentável, eficiência do uso da água, energia e atmosfera, materiais e recursos, qualidade do ar interior e inovação do projeto). A classificação do projeto tem em conta a pontuação em cada uma das áreas analisadas e pode ser obtida uma clas sificação consoante o resultado obtido: Certificado (40-49 pontos), Prata (50-59 pontos), Ouro (60-79 pontos) e Plati na (80+ pontos).

• LiderA: Neste sistema de certificação são avaliadas as ver tentes de integração local, consumo de recursos, cargas ambientais, conforto ambiental, vivência socio-económica e uso sustentável, sendo atribuído um nível de desempe nho de A++ a G. Caso o desempenho for de classe C ou superior, é atribuída a certificação correspondente.

• BREEAM: Para esta certificação são analisadas diversas secções ambientais (energia, saúde e bem-estar, inovação,

uso da terra, materiais, gestão, poluição, transporte, des perdício e água), sendo que a cada uma destas secções é atribuído um peso diferente para a obtenção da pontuação global. Se se alcançar 30% da pontuação, existe a passagem da certificação, com 45% obtém-se bom, com 55% muito bom, com 70% excelente e com 85% excecional.

• LEVEL(s): É uma nova abordagem promovida pela União europeia para avaliar e comunicar o desempenho de sus tentabilidade dos edifícios, ao longo do ciclo de vida dos edifícios de forma harmonizada (face aos mais de 400 es quemas europeus). Utiliza 6 macro objetivos como a emis são de GEE ao longo do ciclo de vida; alterações climáticas; eficiência de recursos e materiais para economia circular; recursos hídricos; saúde e conforto.

3. RÓTULOS E DECLARAÇÕES AMBIENTAIS DE PRODUTO NA CONSTRUÇÃO SUSTENTÁVEL

Toda a atividade humana produz um conjunto de im pactes ambientais ao longo do seu ciclo de vida, não sendo exceção o fabrico de materiais de construção. Na tentativa de minimizar estes impactes, ao longo dos últimos anos tem-se verificado que a Comissão Europeia promove uma Política Integrada de Produtos (PIP), na qual se define uma estraté gia para minimizar este impacte ambiental ocasionado pelos produtos ao longo do seu ciclo de vida. Neste âmbito, foram desenvolvidas diversas ações, por parte da Comissão, com o intuito da melhoria contínua do desempenho ambiental dos produtos, nomeadamente o desenvolvimento de declarações ambientais de produto e de critérios ecológicos para a realiza ção de compras.

Os rótulos e declarações ambientais podem fornecer informação ambiental sobre um produto ou serviço de uma forma mais genérica ou de uma forma mais específica. Estas ferramentas têm como objetivo incentivar a procura e a oferta de produtos ou serviços com um menor impacte sobre o am biente, levando a um potencial de melhoria ambiental contí nua induzido pelo mercado.

Figura 2. Ciclo de vida de um material de construção.

Setembro . Outubro . 2022 Construção . Kéramica . p.7
Construção

Construção

A análise de ciclo de vida (ACV) é uma metodologia que permite analisar todo o ciclo de vida de um produto ou serviço através da quantificação e avaliação dos potenciais impactes ambientais associados. A ACV divide-se em 4 fases fundamentais: definição do objetivo e âmbito, inventário de ciclo de vida, avaliação dos impactes do ciclo de vida e inter pretação do ciclo de vida.

A ACV pretende quantificar e comunicar todos os impactes ambientais significativos relacionados com o produto ou sistema, abrangendo uma ampla gama de questões ambientais, como por exemplo qualidade do ar, qualidade de água e o seu uso, alterações climáticas, depleção dos recursos, entre outros. Contudo, a importância dada a estas questões ambientais pode-se alterar ao longo do tempo (aumentar ou diminuir) consoante as preocupações e prioridades dadas pela sociedade e consequentemente consoante o próprio local.

3.1 NORMALIZAÇÃO

O CEN/TC 350 de Sustentabilidade das obras de construção é uma comissão técnica europeia que desenvol ve normas no domínio da sustentabilidade dos trabalhos de construção, sob a coordenação do CEN (Comité Europeu de Normalização). Estas normas permitem a avaliação do desem penho integrado dos edifícios ao longo do seu ciclo de vida, possibilitando uma análise do desempenho ambiental, social, do custo de vida dos edifícios, para além dos aspetos quan tificáveis do desempenho na saúde e conforto dos edifícios (Fonseca & Almeida, 2020).

Algumas normas no âmbito do desempenho ambien tal das obras de construção incluem:

• EN 15804:2012+A2:2019: Declarações ambientais dos pro dutos – Regras de base para categorias de produtos de construção

• EN 15643-1: Avaliação da sustentabilidade dos edifícios. Parte 1: Enquadramento geral

• EN 15643-2: Avaliação da sustentabilidade dos edifícios. Parte 2: Enquadramento para a avaliação do desempenho ambiental

• EN 15978: Avaliação do desempenho ambiental dos edifí cios. Método de cálculo

• EN 15942:2011: Declarações ambientais de produto. For mato de comunicação empresa-empresa

• CEN/TR 15941: Declarações ambientais de produto. Meto dologia para a seleção e uso de dados genéricos

• CEN/TR 17005:2016: Categorias e indicadores adicionais de impacto ambiental – informações e possibilidades –avaliação da possibilidade de adicionar categorias de im

pacto ambiental e indicadores relacionados e métodos de cálculo para a avaliação do desempenho ambiental dos edifícios

3.2 LADRILHOS CERÂMICOS – ISO17889

A norma ISO 17889 define os requisitos para ladrilhos cerâmicos sustentáveis de acordo com critérios ambientais, económicos e sociais e permite aos utilizadores selecionar produtos que mais contribuem para a sustentabilidade nos edifícios, apoiando assim os sistemas de certificação.

Inclui critérios relevantes em todo o ciclo de vida do produto, desde a matéria-prima até à gestão do fabrico, utili zação e fim de vida.

Os critérios ambientais considerados incluem maté rias-primas, fabrico, distribuição e instalação, utilização e ro tulagem ambiental do produto. Já os critérios económicos e funcionais incluem a qualidade do produto, o nível de desem penho e a aptidão para o uso. Finalmente, os critérios sociais referem-se à saúde e segurança no fabrico, a saúde e seguran ça durante a instalação e a saúde e segurança durante o uso.

A norma ISO 17889-1 menciona vários sistemas de gestão da sustentabilidade para monitorizar, controlar, avaliar e melhorar o desempenho dos ladrilhos cerâmicos no que diz respeito à saúde e segurança e desempenho ambiental.

REFERÊNCIAS

Almeida, M., Santos, M.I.V., Frade, P., Francisco, V. (2012). Estudo de Mercado e Inovação sobre Materiais para Construção Sustentável. Centro Habitat. Disponível em http://www.centrohabitat.net/sites/default/files/projetos-p df/estudo_mercado_inovacao_sobre_mater iais.pdf

Bragança, L., Mateus, R. (2006). Sustentabilidade de soluções construtivas. Congresso sobre Construção Sustentá vel, 2, Porto, Portugal.

Fonseca, C. e Almeida, M. (maio/junho 2020). “NOR MALIZAÇÃO no setor da Cerâmica e do Vidro: CEN/TC 350 Sustainability of Construction Works”. Revista TÉCNICA. Nº 3, pág. 37 a 41

Pinheiro, M. D. (2006) Ambiente e Construção Sus tentável. Instituto do Ambiente, 1ª Edição.

Pires, A. (2017). Modelos de Certificação da Sustenta bilidade dos Edifícios: Análise comparativa dos processos de certificação. Tese de Mestrado em Engenharia Civil. Instituto Superior Técnico da Universidade de Lisboa.

Soares, L. (2021). A inovação com base na Sustentabi lidade dos Edifícios e dos Materiais Cerâmicos: Novas formas de Certificação e Valorização do Produto. 4ª Edição das Jorna das Técnicas da Cerâmica, Aveiro, Portugal.

Setembro . Outubro . 2022 p.8 . Kéramica . Construção

QUALIDADE DO AR INTERIOR: A IMPORTÂNCIA DOS MATERIAIS DE CONSTRUÇÃO E REVESTIMENTO

A qualidade do ar interior (QAI) tem vindo a ganhar relevância devido aos muitos estudos a nível global que de monstraram os efeitos na saúde e bem-estar das pessoas causados por um ambiente interior poluído. A Organização Mundial de Saúde reconheceu a poluição da qualidade do ar interior como um dos fatores de risco para a saúde hu mana, e vários países implementaram legislação que limita os níveis de concentração de vários poluentes no interior dos espaços.

Mas para atingir o objetivo de uma boa QAI é ne cessário conhecer as principais fontes do problema. As contribuições vêm de vários fatores, desde uma má qua lidade do ar exterior a uma pobre ventilação, passando pe los materiais de construção e revestimento, as atividades desenvolvidas pelos ocupantes e os produtos de consumo utilizados. É, pois, importante pensar neste assunto desde a fase de projeto, desenhando um projeto de ventilação adequado, e selecionando materiais de construção e re vestimento de baixa emissão. Estes ganham particular re levância, desde logo porque representam uma maior área emissora, levando a que tenham já sido objeto de regula ção em muitos países europeus, embora não em Portugal. Entre os principais poluentes regulados nas emissões dos materiais, estão os Compostos Orgânicos Voláteis (COVs) e o Formaldeído. Os COVs são um grupo muito extenso de diferentes compostos, como hidrocarbonetos aromáticos, aldeídos, cetonas, éteres glicóis, álcoois, etc., que podem ter um potencial toxicológico muito variável. Entre eles podemos encontrar o cancerígeno benzeno, mas também compostos menos tóxicos como o heptano. Os materiais são sujeitos a ensaios em câmara de teste, onde são quan tificadas as emissões dos COVs, do formaldeído, mas tam bém dos compostos orgânicos semivoláteis, uma categoria que é o alvo mais recente da atenção de legisladores a nível internacional. Esta está presente em alguns sistemas de eti

quetagem de materiais, como os alemães AgBB e EMICO DE. Mais conhecidos em Portugal são o rótulo ecológico europeu ou o rótulo A+, decorrente de legislação france sa. O Laboratório da Qualidade do Ar Interior do INEGI (www.inegi.pt/pt/servicos-laboratoriais/qualidade-do-ar -interior/) tem ao longo dos anos colaborado com várias indústrias nacionais e europeias na caracterização de ma teriais de construção, sendo testemunha de um interesse cada vez maior por parte da indústria nesta temática. A contribuir para este interesse, está a obrigato riedade de apresentar o material testado nas exportações para França ou Alemanha, mas também o surgimento de

Setembro . Outubro . 2022 Bem-Estar . Kéramica . p.9 Bem-Estar
por Gabriela Ventura, Investigadora do INEGI na área da Qualidade do Ar Interior

edifícios certificados ambientalmente. Entre os sistemas de certificação mais conhecidos estão o norte-americano LEED (Leadership in Energy & Environmental Design) e o britânico BREEAM (Building Research Establishment En vironmental Assessment Method). Em ambos os sistemas, os edifícios são analisados em várias vertentes, tais como a localização, a eficiência hídrica, a eficiência energética, os materiais e recursos e a qualidade do ar interior, entre outros. Todos os fatores avaliados dão determinados cré ditos que, ponderados para refletir a importância de cada categoria, resultam numa classificação do edifício quanto à

sua sustentabilidade ambiental. No caso do BREEAM o re sultado final traduz-se numa classificação entre: Suficien te (Pass), Bom (Good), Muito Bom (Very Good), Excelente (Excellent) e Excecional (Outstanding). No fator qualidade do ar interior a escolha de materiais de baixa emissão dá créditos ao edifício contribuindo para que obtenha uma melhor qualificação. Deste modo é importante que as em presas tenham os seus materiais testados, pois mais facil mente serão escolhidos para estas obras.

Um outro aspeto a que as empresas também deve rão dar atenção é à incorporação de reciclados no processo de fabrico. O combate ao desperdício é muito importante, e a economia circular é a escolha inteligente para a susten tabilidade do nosso planeta. Mas é preciso estar atento à presença de compostos químicos tóxicos no material a re ciclar, que serão reintroduzidos como matéria-prima para o fabrico de novos produtos. Substâncias perigosas atual mente já banidas, ou pelo menos restringidas na quantida de, poderão voltar a aparecer nas emissões dos materiais de construção. É importante caracterizar as “novas matérias -primas” para evitar a propagação de contaminações.

Concluindo, é muito importante caracterizar as di versas fontes para poder escolher as opções menos poluen tes e mais amigas do ambiente e da nossa saúde. Sensibili zar as empresas para este tema é fundamental.

Setembro . Outubro . 2022 p.10 . Kéramica . Bem-Estar
Bem-Estar

MATERIAIS CERÂMICOS E DE CRISTALARIA VERSUS SEGURANÇA ALIMENTAR

1. Introdução

Os materiais e objetos destinados a entrar em con tacto com os alimentos (MC) são toda e qualquer superfície que esteja em contacto com os géneros alimentícios ou que a isso se destinem, compreendendo todos os tipos de em balagem, louça de mesa e de cozinha, tubagens, depósitos, mesas de trabalho e a maquinaria e equipamento para pro cessar alimentos (DGAV).

A nível europeu, o Regulamento (CE) n.º 1935/2004 do Parlamento Europeu e do Conselho, de 27 de outubro, estabelece genericamente as regras relativas ao fabrico e à comercialização dos materiais e objetos destinados a entrar em contacto com géneros alimentícios, por forma a que es tes materiais sejam seguros e não transfiram os seus com postos para os alimentos em quantidades não aceitáveis.

A Diretiva n.º 84/500/CEE do Conselho, de 15 de outubro, alterada pela Diretiva n.º 2005/31/CE da Comis são, de 29 de abril, estabelece a regulamentação da mi gração de chumbo (Pb) e cádmio (Cd) a partir dos objetos cerâmicos que se destinam a entrar em contacto ou estão em contacto, em conformidade com a utilização a que se destinam, com os géneros alimentícios. Esta Diretiva foi transposta para Portugal pelo Decreto-Lei n.º 190/2007, de 11 de maio.

A migração de metais pesados da louça cerâmica encontra-se associada, de forma genérica, a determinadas matérias-primas utilizadas no processo de fabrico e indis pensáveis para a obtenção do produto final pretendido/ /exigido pelo cliente, sendo por isso indispensável o setor conhecer os seus materiais e se necessário adaptar-se aos requisitos nacionais e internacionais.

2. Enquadramento legislativo

O Regulamento (CE) n.º 1935/2004 do Parlamen to Europeu e do Conselho, de 27 de outubro, relativo aos

materiais e objetos destinados a entrar em contacto com os alimentos, estabelece requisitos gerais para todos os ma teriais em contacto com alimentos.

A migração eventual de chumbo e cádmio a partir dos objetos cerâmicos que, no estado de produtos acaba dos, se destinam a entrar em contacto ou estão em contac to em conformidade com a utilização a que se destinam, com os alimentos encontra-se estabelecida na Diretiva n.º 84/500/CEE, do Conselho, de 15 de Outubro. Esta di retiva é uma medida específica na aceção do artigo 5º do Regulamento (CE) n.º 1935/2004. Para os produtos de vidro não existe uma legislação europeia harmonizada para se poder fazer a avaliação da migração dos vários componen tes, no entanto as empresas sempre que necessário utili zam os valores de referência da cerâmica.

Aquela Diretiva foi entretanto alterada pela Dire tiva 2005/31/CE, da Comissão, de 29 de abril, no que diz respeito à declaração de conformidade e aos critérios de desempenho do método analítico.

O Decreto-Lei n.º 190/2007, de 11 de maio, trans põe para a ordem jurídica interna (de Portugal) a Diretiva n.º 2005/31/CE, consolidando a transposição da Diretiva n.º 84/500/CEE, relativamente a objetos cerâmicos desti nados a entrar em contacto com os géneros alimentícios.

Em 2011 foi colocada a possibilidade da revisão da Diretiva n.º 84/500/CEE pela Comissão Europeia numa re união do grupo de trabalho “FoodContact Material”, tendo

Setembro . Outubro . 2022 Saúde . Kéramica . p.11
Saúde
por Marisa Almeida; Anabela Amado; Regina Santos; Alice Oliveira

Saúde

a indústria tomado conhecimento desta iniciativa em ju nho de 2012, nomeadamente através do 1.º draft da revisão da diretiva e foi consultada sobre o impacto da imposição dos novos limites à libertação de metais de recipientes de cerâmica e de vidro em contacto com os alimentos, no con texto da segurança alimentar, com o intuito de a Comissão Europeia perceber o impacto que a redução dos limites po deria ter nos agentes económicos.

Quadro I

Limites de cedência dos metais, em vigor (Diretiva 84/500/CEE)

Limites de cedência dos metais

Categoria Chumbo Cádmio

Categoria 1 (Flatware) 0,8 mg/dm2 50,07 mg/dm2

Categoria 2 (Small holloware) 4,0 mg/l 0,3 mg/l

Categoria 3 (Large holloware) 1,5 mg/l 0,1 mg/l

Categoria 1 (Flatware): Objetos que não são suscetíveis de enchimento; objetos que se podem encher, nos quais a altura interna, medida entre o ponto mais baixo e o plano horizontal que passa pelo bordo superior é inferior ou igual a 25 mm.

Categoria 2 (Small holloware): Todos os outros objetos passíveis de enchimento.

Categoria 3 (Large holloware): Utensílios de cozinha; Embalagens e recipientes para armazenagem com capacidade superior a 3 litros.

A atual legislação comunitária em vigor é apenas para os produtos de cerâmica e os limites máximos admis síveis são apenas para a libertação de chumbo e cádmio, no entanto, com a sua revisão prevê-se uma extensão aos produtos de vidro e a inclusão de limites de libertação de outros metais pesados considerados perigosos e relevantes nos produtos por existirem em muitas matérias-primas e aditivos, tais como: cobalto (Co), cobre (Cu), manganês (Mn), níquel (Ni), selénio (Se), alumínio (Al), arsénio (As), bário (Ba), ferro (Fe), estanho (Sn), antimónio (Sb), zinco (Zn), vanádio (V), titânio (Ti) e crómio (Cr).

Atualmente, as quantidades de chumbo e de cád mio cedidas pelos objetos cerâmicos não devem ultrapassar os limites indicados na Diretiva n.º 84/500/CEE, os quais estão divididos em 3 categorias, conforme Quadro I e as respetivas definições apresentadas.

A redução dos limites propostos para chumbo e cádmio na louça cerâmica é bastante significativa, na or dem de 400 vezes inferior para o chumbo e 60 vezes in ferior para o cádmio, no caso da categoria 2 (conforme se pode verificar do Quadro II). A atualização dos limites des tes metais na louça cerâmica foi considerada como prioritá ria, tornando-se o principal objetivo da revisão, por isso os únicos valores apresentados no 1º draft daquela revisão. No entanto, encontra-se em aberto a possibilidade de inclusão de limites de libertação de outros metais pesados conside rados perigosos e relevantes na louça utilitária colorida, as sim como a extensão aos artigos de vidro doméstico.

Quadro II

Limites de cedência dos metais no 1º Draft da revisão da Diretiva 84/500/CEE

Limites de cedência dos metais

Categoria Chumbo Cádmio

Categoria 1 (Flatware) 2,0 µg/dm2 1,0 µg/dm2 Categoria 2 (Small holloware) 10,0 µg/l 5,0 µg/l Categoria 3 (Large holloware) 3,8 µg/l 1,9 µg/l

Verifica-se que aqueles limites propostos são 200 vezes mais exigentes do que os limites estabelecidos pela ISO 7086-2 (internacional) e 10 vezes mais do que os limites mais rigorosos, que são os limites definidos atualmente pela Californian Prop 65 autorizado pela Agência de Alimentos e Medicamentos dos Estados Unidos.

Desta forma, com a mudança dos limites de liberta ção de metais, a indústria cerâmica e vidreira necessita de se adaptar para cumprir com as novas exigências legislativas europeias, podendo ser necessário substituir alguns mate riais e/ou métodos de produção.

3. Estudos desenvolvidos

As alterações da legislação que se advinham afetam de forma significativa a indústria, implicando um esforço suplementar dos diversos agentes envolvidos, nomeada mente produtores, fornecedores de matérias-primas e labo ratórios, que obriga à realização de estudos e de desenvolvi mento de novas matérias-primas e processos.

Neste sentido, têm sido desenvolvidos diversos es tudos pela indústria e centros de pesquisa na Europa para avaliar o impacto da proposta da Comissão em produtos

Setembro . Outubro . 2022 p.12 . Kéramica . Saúde

cerâmicos e de vidro, nomeadamente os estudos realizados pelo Joint Research Centre (JRC), laboratório de referência da União Europeia, de amostras de produtos de cerâmica e de vidro de embalagem de vários países da União Europeia, donde têm surgido várias publicações nos últimos anos.

Destes recentes estudos destacam-se algumas im portantes conclusões, nomeadamente:

• A realização de três testes sucessivos de extração em vez de apenas uma extração, os quais refletem melhor a migração de metais na utilização repetida de louça cerâmica/vidro em contacto com os alimentos;

• O ácido acético a 4% a 22ºC continua a ser considerado o melhor simulador, representando melhor as condi ções de uso de um alimento em louça cerâmica e vidro.

Em Portugal, o Centro Tecnológico da Cerâmica e do Vidro (CTCV) desenvolveu um estudo (no âmbito do projeto SIAC, promovido pela APICER e concretizado pelo CTCV), onde foi realizada uma campanha de análise dos produtos de louça utilitária existentes no mercado (porcela na, faiança e grés) e produtos de vidro doméstico, determi nando os valores de libertação de metais pesados.

Os resultados obtidos nesse estudo permitiram verificar que, relativamente à louça cerâmica portuguesa, várias amostras apresentam valores acima dos limites pro postos (no 1º draft da revisão da diretiva) para o cádmio e o chumbo, sendo estes essencialmente produtos de porce lana e alguns de faiança (Oliveira et al, 2018). No entanto, as amostras analisadas cumprem, sem qualquer problema, a legislação em vigor.

No caso dos produtos de vidro, apesar de ainda não existir nenhuma proposta de valores-limite para esta tipologia, verificaram-se alguns valores acima do limite de quantificação do equipamento, nomeadamente o chumbo, cádmio, cobalto e cobre, salientando-se que alguns destes valores de chumbo e cobre são bastante significativos, pre vendo-se alguma dificuldade para o setor cumprir os limites de chumbo e cádmio, se forem iguais aos da cerâmica, apre sentados no referido draft.

Constata-se que a maioria dos valores de chumbo e cádmio que se encontram acima dos limites propostos no draft, estão associados à utilização de decorações, essencial mente obtidas por terceiro fogo. Enquanto nas cores sólidas a maioria dos valores são inferiores ao limite proposto ou encontram-se abaixo dos respetivos Limites de Quantifica ção.

Os valores obtidos acima dos limites propostos no draft, para o chumbo e cádmio, são maioritariamente de

produtos cerâmicos com decoração de tipo on-glaze. As decorações deste tipo são normalmente cozidas a tempera turas mais baixas que as decorações do tipo in-glaze. Como nas decorações tipo on-glaze não há uma penetração da decoração no vidrado, a migração de metais da decoração aplicada para os alimentos é facilitada, explicando os resul tados obtidos.

Foi ainda desenvolvido outro estudo, também no âmbito do projeto SIAC, promovido pela APICER e concre tizado pelo CTCV, onde foi aprofundado a principal causa detetada como fonte de libertação de metais na louça ce râmica, as matérias-primas associadas a tintas e corantes, decalques e vidrados (Oliveira et al, 2018). Ver mais infor mações detalhadas na Kéramica nº 353.

Os resultados do estudo ditaram que será essencial que na revisão da legislação seja considerado a 3ª lixiviação, em detrimento da 1ª, na medida em que a quantificação de metais é significativamente reduzida (Oliveira et al, 2018).

E as empresas deverão ter como boa prática a colocação de fundente, como camada protetora, encapsulando as tintas/ /corantes no entanto, sempre avaliado caso a caso, com os diferentes fundentes atualmente disponíveis pelas empre sas fornecedoras.

4. Conclusões

Todos os materiais que sejam concebidos para estar em contacto com os géneros alimentícios têm de ser segu ros e não transferirem os seus compostos para os alimentos em quantidades não aceitáveis existindo, por isso, limites específicos impostos para a libertação potencial de subs tâncias durante o contacto com os alimentos, para que os consumidores estejam dentro do possível menos expostos. Na louça cerâmica e do vidro a migração de metais pesados encontra-se associada, de forma genérica, a deter minadas matérias-primas utilizadas no processo de fabrico, sendo necessário a indústria cerâmica e do vidro estarem atentas e preparadas para as regras europeias e nacionais em vigor.

Bibliografia

https://www.dgav.pt/alimentos/conteudo/generos -alimenticios/garantir-a-seguranca-dos-alimentos/mate riais-em-contacto-com-generos-alimenticios/ A. Oliveira, R. Santos, M. Almeida, A. Amado, “Ava liação e melhoria do desempenho da cerâmica e cristala ria em segurança alimentar”, Revista KÉRAMICA, n.º 353, pg. 7-11, julho/agosto 2018

Setembro . Outubro . 2022 Saúde . Kéramica . p.13
Saúde

SMARTHOUSES PORTUGAL

A SmartHouses Portugal nasceu da preocupa ção ambiental e da forte consciência ecológica aliada à experiência em desenvolvimento e gestão de projectos imobiliários.

Pretendemos contribuir para a eficiência energé tica e a sustentabilidade na habitação em Portugal, pro movemos a construção ecológica e passiva intervindo desde a fase de projecto até à sua concepção.

Especializámo-nos no método construtivo de efi ciência energética Passive House que cumpre os requi sitos de um edifício de necessidades quase zero (NZEB).

Podemos olhar para uma casa Passive House, mas só através de um olhar mais atento e conhecedor poderemos ver o que as distingue das outras casas cor rentemente construídas em Portugal. Quem conhece o conceito sabe o que significa a diferença.

“ O verdadeiro papel de um edifício é manter-nos saudáveis, felizes, seguros e confortáveis”, citação de Lloyd Alter, Arquitecto e editor chefe do blog TreeHugger.

Portugal é o 3º País na Europa onde a mortalida de no inverno é mais elevada, 25,6% da população vive em casas com más condições e 16,4% não tem condições para aquecer convenientemente a habitação (dados for necidos por Pordata dia 17 de outubro de 2022).

Portugal em 2020 foi um dos 10 países na Europa com o preço de KWh mais elevado, no entanto Portugal está no TOP 10 dos países europeus com melhor clima.

Conceito

O conceito Passive House surge após a crise do petróleo na década de 70 onde são experimentadas e de senvolvidas iniciativas para uma distribuição segura de energia e soluções de eficiência.

Em 1991 é construído o primeiro projeto Passi ve House em Darmstad-Kranichstein, Alemanha, cidade onde está localizado o Passive House Institute. Este pro jecto veio a confirmar que a poupança de energia para aquecimento era de 90% ou mais em comparação com um edifício-padrão e os custos de investimento adicio nais médios foram cerca de 8% comparados com edifí cios construídos seguindo a norma mínima exigida.

Setembro . Outubro . 2022 p.14 . Kéramica . Construção Sustentável
Construção Sustentável
Por Maria Lúcia Marques , Arquitecta, Certified Passive House Designer Maria Lúcia Marques

A Passive House surge como um padrão de alto desempenho que pode ser aplicado independentemente do clima, utilizar materiais locais promovendo a eficiên cia energética aliada à sustentabilidade.

Com um projecto optimizado baseado em ar quitectura bioclimática e com liberdade na escolha dos materiais a serem utilizados, uma casa passiva tem de cumprir os requisitos definidos para a sua eficiência e certificação.

Prestações de uma casa passiva

Uma casa Passive House tem requisitos térmicos a cumprir, as necessidades de aquecimento não podem exceder os 15Kwh/m².a, tal como as necessidades de ar refecimento. A carga de aquecimento e de arrefecimento não poderá exceder os 10W/m². Para uma casa tradicio nal as necessidades de aquecimento são de cerca de 4 a 10 vezes mais que numa casa passiva e a carga máxima de aquecimento é de cerca de 3 a 5 vezes mais do que uma casa passiva.

Terá de cumprir critérios de estanquicidade e as necessidades e energia Primária não poderão ser maio res ou iguais a 120Kwh/m².a, ou as necessidades e Ener gia Primária Renovável poderão ser iguais ou inferiores a 60Kwh/m².a. A apenas é aceitável um excesso de tem peratura (25°) em 10% dos dias durante um ano. Se não cumprir estes requisitos não é uma Passive House.

Só cumprindo os requisitos definidos poderá ser elegível para a Certificação atribuída pelo Passive House Institute que certifica a sua eficiência energética.

O conceito Passive House também pode ser aplicado na renovação dos edifícios. Foi desenvolvida uma

norma especifica para edifícios existentes, o EnerPHit –Energy Retrofit whit Passive House componentes. Não obrigando a cumprir requisitos tão exigentes como para um edifício novo, consegue oferecer optimas prestações de eficiência e excelente conforto comparado a uma renovação-padrão.

A Norma Passive House também pode ser aplica da em edifícios não residenciais como hospitais, escolas, piscinas, bibliotecas e museus, entre outros.

Os cinco princípios-base numa Passive House Uma casa Passive House tem como pontos-bases na sua concepção um excelente isolamento térmico, cai xilharia e vidros eficientes e preferencialmente certifica dos pelo PHI, a minimização das pontes térmicas, uma envolvente estanque ao ar e um sistema de ventilação mecânica com recuperação de calor.

Vantagens

As vantagens de uma Passive House é uma cons trução eficiente e sustentável com uma melhoria da qua lidade do ar interior através de uma ventilação mecânica com recuperação de calor, um óptimo isolamento acústi co, espaços saudáveis com conforto térmico e a redução da fatura energética para aquecimento e arrefecimento.

Economia

Existem custos adicionais específicos numa Pas sive House comparando com uma casa de baixo con sumo e as casas standard. Esses custos adicionais vêm particularmente da ventilação mecânica, do isolamento e da estanquidade ao ar.

Setembro . Outubro . 2022 Construção Sustentável . Kéramica . p.15
Imagem PopUp House Cinco princípios base da Passive House

Construção Sustentável

Contudo um estudo feito pelo Passive House Ins titute (PHI) apurou que o investimento adicional inicial para uma Passive House será agora inferior a 5% dos cus tos totais de construção (estudo realizado na Alemanha).

Portugal deverá ser analisado particularmente, as necessidades de isolamento não serão iguais às necessi dades na Alemanha.

A construção de uma casa passiva não será neces sariamente mais cara do que uma construção nova que terá de cumprir a legislação portuguesa em vigor.

As necessidades de uma casa passiva são inferio res entre 4 a 10 vezes às da casa-padrão, o que resulta numa fatura de electricidade reduzida e a minimização do impacto do aumento do valor da energia eléctrica.

O PHI salienta que mesmo após 30 anos, os cus tos de energia podem continuar a ser reduzidos, pois os componentes inactivos de uma casa passiva continuam a funcionar enquanto a casa estiver a funcionar.

Certificação

Para a certificação de uma Passive House é ne cessário a utilização de um técnico acreditado pelo Pas sive House Institute e é recomendado a sua intervenção desde o início do projecto.

O procedimento para a certificação de um pro jecto consiste em cinco etapas principais:

• Verificação

• Revisão preliminar

• Revisão do projecto antes do início dos trabalhos

• Dúvidas e perguntas sobre a certificação durante toda a fase de planeamento e construção

• Revisão final após a conclusão da construção

Os requisitos mínimos definidos para a certifica ção têm de ser cumpridos e terá de ser feito um teste à estanquidade da casa (Blowdoor test) em que o resultado obtido das renovações do ar não poderá exceder as 0,6 renovações por hora (n50).

Casas Eco-Passivas

Os ganhos para o ambiente de um método e de sign focado no consumo mínimo de energia aliado à pro dução de energia renovável, focado na conservação dos recursos, no uso de materiais locais, renováveis, reciclá veis e de origem biológica vem assegurar a qualidade de vida dos ocupantes através da concretização de edifícios saudáveis e reduzir o seu impacto no meio ambiente.

Com o surgir da Pandemia do Covid-19 a percep ção de que vivemos grande parte da nossa vida em espa ços fechados, preocupações com o bem-estar e ambiente saudável aumentaram. Uma construção Eco-Passiva tem em conta este novo desafio ao promover a renovação do ar interior e a escolha de materiais saudáveis, prevenin do o desenvolvimento de agentes patogénicos que são causa de alergias e doenças.

A escolha de materiais com baixa energia incor porada, com mínimo de emissões de CO2 durante o seu processo de construção e de materiais que possam ser reciclados no seu fim de ciclo de vida faz parte dos pontos a considerar no desenvolvimento de um projecto sustentável e da promoção da economia circular.

Quer conhecer um pouco mais sobre a SmartHouses Portugal e sobre construção sustentável consulte o nosso site www.ecopassivehouses.pt e faça o download gratuito do nosso White Paper

Setembro . Outubro . 2022 p.16 . Kéramica . Construção Sustentável
The Vicent Auriol Scoll in Paris LA Architectures + Atelier Desmichelle Architecture

IMPLANTES DENTÁRIOS CERÂMICOS

A indústria de substituição de dentes, os chamados implantes dentários, são dispositivos médicos, maioritaria mente feitos em titânio puro ou em liga titânio-vanádio-alu mínio.

Na Medicina Dentária este procedimento é um dos mais praticados sendo anualmente colocados cerca de 500.000 implantes, apenas nos Estados Unidos, num negócio com uma projeção estimada de 5.71 mil milhões de euros em 2023 segundo a Fortune Business Insights™

Representa um claro benefício na qualidade de vida das pessoas com falta de dentes (edentulas) refletindo um be nefício holístico alto, por permitir uma correta mastigação e consequente correta nutrição.

O avanço no campo da implantologia dentária é atri buído ao sueco Per-Ingvar Brånemark, que inseriu o primeiro implante de titânio num paciente em 1965. Desde essa data o titânio tornou-se no material mais utilizado para o fabrico de implantes

O prognóstico a longo prazo dos implantes orais en dósseos foi amplamente documentado para pacientes total e parcialmente desdentados, sendo um desafio complexo do ponto de vista estético aquando da sua execução no setor an terior. A aparência natural de dentes isolados substituídos em falta na zona estética da maxila requer vasta experiência do médico dentista dada a alta exigência por parte dos pacientes.

Com cerca de 50 anos de osteointegração muitas sãos as vantagens e benefícios do titânio, mas são também conhe cidos e documentados alguns problemas derivados do uso de ligas metálicas na cavidade oral.

Fenómenos de infeção dos implantes, descoloração, falta de estética têm sido relatados ao longo do tempo.

Saúde . Kéramica . p.17 Saúde
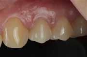
por André Chen, Co-Founder International Advanced Dentistry – IAD Lisbon Portugal André Chen (Ytzp) com Coroa Zirconia (cerâmica pura). Figura 2 Implante de Dióxido de Titânio.

Todo o mercado de implantes dentários tem procu rado uma alternativa credível de biomaterial para evitar estes problemas.

O holístico foi o primeiro a tentar encontrar alter nativas ao titânio, mas desde cedo se observou a vantagem, e a biocompatibilidade de biomateriais cerâmicos no corpo humano.

Como alternativa estética surgiram, então, os implan tes em cerâmica pura. Estes foram introduzidos em 1960, por Sandhaus, sendo inicialmente produzidos em óxido de alumi na.

Tendo em conta as elevadas exigências estéticas pre tendidas no setor estético anterior (incisivos, caninos e pré -molares), os implantes de óxido de alumina tinham a vanta gem de mimetizar a cor do dente natural, atraindo o interesse dos clínicos, tinham uma boa osteointegração, integrando-se diretamente ao tecido ósseo do hospedeiro.

No entanto, estudos clínicos mostram taxas de sobre vivência a longo prazo entre 65% e 92%. Assim, a heterogenei dade destes valores impediu a sua utilização rotineira.

Consequentemente, os implantes em óxido de alumi na foram removidos do mercado no início da década de 90 uma vez que as suas propriedades biomecânicas e resultados clínicos insatisfatórios não trouxeram segurança e previsibili dade aos clínicos.

Nos anos seguintes, ainda na década de 90, um novo material cerâmico denominado de dióxido de zircónia (ZrO2) (dióxido de zirconia reforçado com itria -Ytzp) foi introduzido na implantologia com propriedades mecânicas de resiliência, resistência à fratura excecionalmente boas, aprovado para a confeção de coroas e implantes.

Este novo tipo de implante é recomendado para si tuações estéticas altamente exigentes como a zona anterior da maxila, áreas com tecidos moles comprometidas e para pa cientes com (hiper)sensibilidade ao metal.

As grandes vantagens do uso deste tipo de implante são

1. O menor acumulo de placa bacteriana

2. A ausência de metal na superfície que contacta com o osso e tecido mole, menor fenómeno de corrosão e libertação de partículas para os tecidos

3. Estética

4. Menor probabilidade de progressão da infeção do im plante

5. Alergias a metais

O uso de implantes cerâmicos tem vindo a aumentar exponencialmente, especialmente porque esta segunda ge ração tem propriedades mecânicas similares aos metais com características de biocompatibilidade aumentadas.

Como mercado estima-se que cresça 10% ao ano e que em 2024 a reabilitação de raízes de dentes perdidos com mate riais cerâmicas aumente 25%.

Na nossa clínica (IADLisbon – International Advan ced Dentistry) já está nos 15% de todos os implantes feitos e continua a subir o número de pessoas que prefere elementos cerâmicos aos metais.

Na Europa esta terapia é regulada pela ESCI – Euro pean Society for Ceramic Implantology do qual alguns mem bros do IAD Lisbon fazem parte. Nessa associação são emiti das as guidelines e regulação deste tipo de implantologia.

Lisboa foi a primeira capital mundial a ter um centro de treinos para dentistas internacionais virem aperfeiçoar o uso cirúrgico de implantes cerâmicos. (ESCI – Lisbon Trai ning Center)

Links úteis para mais informação:

ESCI – European Society for Ceramic Implantology https://esci-online.com/en/ IAD Lisbon - International Advanced Dentistry

Setembro . Outubro . 2022 p.18 . Kéramica . Saúde
e 4
Figura 5 Equipa do International Advanced Dentistry –IAD Lisboncerâmica
Figura 3
Reabilitação implanto-suportada com implante cerâmico e coroa cerâmica
Figura 6 . Board of Directors ESCI –European society for ceramic implantology
Saúde

Secção Jurídica

A expressão que dá título a este artigo traduz um dos mais conhecidos lemas da monarquia e, como é sa bido, significa que o herdeiro do monarca se torna rei imediatamente após a sua morte, sendo a sua coroação uma mera e simbólica formalização daquela sucessão.

Há poucas semanas, aliás, fomos todos testemu nhas daquela real regra, quando, logo após a morte da Rainha Isabel II, o seu filho primogénito foi declarado Rei de Inglaterra. O reino não podia ficar sem Rei.

Vem esta nota a propósito de uma das mais re levantes questões para qualquer empresa: a da sucessão dos seus proprietários e dos seus líderes – uma questão particularmente complexa e exigente no caso das Em presas Familiares.

Para salvaguardar o sucesso destas Empresas, é preciso, à semelhança de qualquer Reino, planear a sua sucessão – não só a sucessão na propriedade, mas tam bém a sucessão na gestão.

Destaquemos algumas questões, prévias, indis pensáveis à presente reflexão, cuja resposta não pode mos dispensar:

• O que é uma Empresa Familiar? É Familiar a Empresa cujo controlo é detido pela Fa mília. A Família exerce ou nomeia os seus órgãos de gestão e os seus membros (ou alguns dos seus mem bros) participam na organização e trabalham na Empresa.

• Qual é o peso das empresas familiares no tecido em presarial português?

Não há dados rigorosos, mas estima-se que mais de 70% das empresas portuguesas sejam Empresas Fa miliares.

• Que problemas específicos enfrentam as empresas familiares?

Tipicamente, os maiores desafios das Empresas Fa miliares – cujos valores são passados de geração em

Setembro . Outubro . 2022 Secção Jurídica . Kéramica . p.19
Filomena Girão
por Filomena Girão, FAF Advogados

Secção Jurídica

geração – são precisamente os decorrentes da suces são de uma geração para a geração seguinte.

E, finalmente, a mais importante das questões: • Há soluções para evitar ou, pelo menos, mitigar aqueles problemas?

Com certeza que sim. Como todos sabemos, há em Portugal muitos e excelentes exemplos de sucessões eficazes e bem sucedidas, que foram encaradas como oportunidades para a consolidação dos valores es senciais da Empresa e para a sua renovação.

Para isso, a sorte e as boas intenções não bastaram. Em todos os casos de sucessões bem sucedidas, a su cessão – quer na gestão, quer na propriedade – foi certamente estudada, planeada e rigorosamente im plementada.

O segredo é, pois: estudar, planear, decidir, antes de executar mudanças tão sensíveis e tão desafiantes quanto aquelas que qualquer sucessão impõe!

Concordamos todos, certamente, que a comple xidade e a riqueza das naturais relações entre familiares e afins deve ser um factor positivamente diferenciador, uma mais-valia das Empresas Familiares e nunca um fac tor de desordem, de ingerência, na sua gestão. Por outro lado, concordaremos todos, também, que muitas vezes, aquelas relações familiares são geradoras de conflitos ca pazes de pôr em causa o bom funcionamento das suas Empresas. Para o evitar, é preciso planear a sucessão na gestão, identificando as idiossincrasias de cada Empresa e de cada Família, definindo objectivos estratégicos e es tabelecendo procedimentos.

E, mais, É igualmente conveniente planear a sucessão na propriedade. Muitas vezes a Empresa é o bem da Família com o valor mais significativo e nela trabalham vários familiares e afins. Dela dependem, pois, os seus futuros, nela depositam, pois, as suas esperanças e os seus so nhos. E há, ao redor das Empresas Familiares, interesses vários e variados, que é preciso compatibilizar.

Trata-se de uma matéria complexa que exige o empenhamento de toda a Família e um acompanhamen to especializado que a auxilie na ponderação de todas as possibilidades, com análise das respectivas vantagens e inconvenientes.

Mais de 70% das empresas portuguesas têm uma estrutura e uma gestão familiar – são, pois, Empresas Familiares. Essa marca tem de ser uma das nossas maio res vantagens num mundo cada vez mais globalizado e, cada vez mais impessoal. Contudo, para isso, é preciso que cada Família defina rumos e objectivos estratégicos comuns, distinguindo e salvaguardando os vários planos envolvidos (a relação dos familiares como proprietários de participações sociais; a relação dos familiares como gestores da Empresa; a relação dos familiares como tra balhadores da Empresa; e, a relação familiar propria mente dita).

Um bom planeamento da sucessão, quer na ges tão quer na propriedade das Empresas Familiares é um dos segredos para o seu sucesso e – como bem se com preende – para o crescimento económico e social do nosso País.

É, pois, hora de planear o seu Futuro!

Setembro . Outubro . 2022 p.20
. Kéramica . Secção Jurídica

NOVOS ÓRGÃOS SOCIAIS DA APICER

No passado dia 15 de Setembro de 2022 a Assem bleia Geral da APICER procedeu à eleição e tomada de posse dos novos órgãos sociais para um mandato de três anos, ou seja para o triénio 2022/2025.

Assim, o Dr. José Manuel da Cruz Pratas foi elei to Presidente da Direção tendo como Vice-Presidentes efetivos a Drª Sofia Alexandra Ferreira Baptista (SA NINDUSA – Indústria de Sanitários, S.A. ), o Dr. Hugo Alexandre Almeida Brás Coelho Francisco (CERÂMICA DE PEGÕES – J. G. Silva, S.A.), a Engª Cláudia Raquel Baptista Domingues (ANTÓNIO ROSA - CERÂMI CAS, LDA ) e o Dr. Paulo Manuel Jesus Seabra De Al meida (PRIMUS CERAMICS, S.A. ). OS Vice-Presiden tes Suplentes são o Dr. Marco Mussini (GRESPANARIA PORTUGAL, S.A.) e o Dr. Pedro Nuno Morais Abrantes (CT – COBERT TELHAS, S.A).

A Mesa da Assembleia Geral foi constituída pela Presidente, Dr.ª Ana Paula Bexiga Nunes Roque (RE VIGRÉS – Indústria de Revestimentos de Grés, Lda ), o Vice-Presidente Eng.º Miguel Ângelo Roque Bouça

(PORCEL – INDÚSTRIA PORTUGUESA DE PORCE LANAS, S.A.) e o Secretário Eng.º Teodorico Figueiredo Pais (VISTA ALEGRE ATLANTIS, S.A.)

O Conselho Fiscal foi constituído pela Presiden te, Dr.ª Carla Sofia Da Conceição Godinho (ALELUIA –Cerâmicas, S.A.) e as Vogais, Dr.ª Isabel Cristina Neves Monteiro Paiva (DOMINÓ – Indústrias Cerâmicas, S.A.) e Dr.ª Elsa Maria Coelho Almeida (PERPÉTUA, PEREI RA & ALMEIDA. LDA). Como elemento suplente, Dr. Diamantino Neves Lopes (GRESART – Cerâmica Indus trial, S.A.).

A Direção da APICER identificou algumas das questões em que deve fazer incidir o seu foco de atuação:

• Acompanhar a questão energética, resultante da es calada dos preços do gás e da energia elétrica, sen sibilizando o poder político para as consequências na atividade das empresas cerâmicas e da cristalaria;

• Acompanhar os processos de transição energética, descarbonização e de circularidade nas indústrias de cerâmica e da cristalaria e das questões ligadas ao CELE;

• Aumentar a proximidade aos associados;

• Intensificar a parceria com o CTCV e com o CEN CAL;

• Encontrar com os Centros de Emprego e de Forma ção Distritais parcerias para formação profissional adaptada às necessidades da cerâmica e da cristala ria;

• Melhorar a gestão interna da APICER;

• Promover a sustentabilidade financeira da APICER;

• Cumprir a lei e os estatutos da APICER sempre na defesa dos interesses dos associados.

Enfrentamos tempos difíceis na Indústria, aos quais os Setores da Cerâmica e do Vidro não são exceção.

Setembro . Outubro . 2022 Associativismo . Kéramica . p.21
Associativismo
por Martim Chichorro, Gestor de Marketing da APICER

Associativismo

"As enormes dificuldades que os aumentos dos pre ços acarretam para as empresas, as dificuldades em contra tar mão-de-obra quer em quantidade quer com as qualifi cações necessárias, acompanhadas de todas as exigências da transição enérgica, circularidade e descarbonização da economia são alguns dos desafios mais prementes. São desafios que exigem contínuos esforços da associação en quanto defensora dos seus interesses empresariais e inter locutora das dificuldades que as mesmas atravessam, mas que serão mais facilmente ultrapassadas com o reforço das estruturas associativas, com a maior participação das em presas nas iniciativas da APICER".

Setembro . Outubro . 2022 p.22 . Kéramica . Associativismo

PORTUGAL CERAMICS APRESENTA-SE NA FEIRA BATIMAT EM PARIS

Depois da apresentação pública da marca Portugal Ceramics , efectuada no dia 22 de setembro no Terminal de Cruzeiros do Porto de Leixões, a qual contou com cerca de cem convidados, era necessário iniciar o programa de divulgação da marca pelos diversos mercados previamente escolhidos.

A primeira ação de divulgação decorreu com a presença de um stand na Feira Batimat em Paris, de 03 a 06 de Outubro de 2022.

Participar nesta feira, na edição de 2022, foi uma aposta de sucesso para apresentação da marca. Com o número de visitantes a aumentar acentuadamente em 15% em relação à ultima edição e a presença de 1.720 expositores, incluindo 45% de novos expositores, a

edição de 2022 juntou as três feiras BATIMAT, INTER CLIMA e IDÉOBAIN, que se estabeleceram durante 4 dias em Paris como o local onde todos os sectores da construção convergem para abordar todas as questões ligadas à transformação do sector e em particular a des carbonização do acto da construção.

Foi a nossa primeira exposição enquanto marca que representa também a indústria cerâmica portuguesa de pavimentos e revestimentos.

A parede do stand Portugal Ceramics foi cons truída com azulejos de várias marcas representando a diversidade da indústria cerâmica portuguesa e foi um sucesso absoluto.

O stand desenhado pelo Arq. Luís Pedro Silva teve numerosos visitantes, não só de nacionalidade francesa mas também dos países francófonos e da comunidade portuguesa que trabalha na construção em França. Foram solicitadas muitas informações, distribuídos os catálogos do Portugal Ceramics para o sector dos pavimentos e revestimentos portugueses e houve um feedback muito positivo com os profissionais da área da construção, arquitectos, importadores, armazenistas e estudantes.

No dia 4 de Outubro e por ocasião das Talks, de dicadas ao tema da descarbonização, o Arq. Luís Pedro Silva foi um dos convidados a partilhar a sua visão e a sua experiência com a circularidade como caminho para alcançarmos a redução da nossa pegada de carbono.

Cada empresa tem um nome próprio, que os seus clientes conhecem, mas passamos agora a usar um nome comum de PORTUGAL CERAMICS , pelo que é mais fácil identificar-nos e comunicarmos entre todos, sobretudo para que nos conheçam melhor e sem distâncias — ou, dito de outra forma, para que estejamos mais próximos.

Setembro . Outubro . 2022 Associativismo . Kéramica . p.23
Associativismo
por Martim Chichorro, Gestor de Marketing da APICER

Associativismo

Esta proximidade por via da criação de uma marca para a cerâmica portuguesa é vital para a definição de um po sicionamento que os mercados entendam como autên tico, relevante e diferenciador. É um sinal de confiança dado ao mercado e aos consumidores, e contém uma mensagem que queremos poder traduzir-se na associa ção de uma ideia única e forte à cerâmica portuguesa.

Neste sentido, a marca PORTUGAL CERAMICS alimenta-se das pequenas, médias e grandes empresas que constituem o universo das empresas portuguesas de

cerâmica, e é com elas que se apresenta ao mundo com a imagem de diferenciação e de sustentabilidade que a torna sólida e duradoura, em linha com a tradição em que moldou o seu passado. Essa tradição e esse passado, no entanto, convivem lado a lado e diariamente com o espírito jovem e criativo que caracteriza a imagem real da cerâmica portuguesa no nosso tempo.

As acções de promoção da marca Portugal Ceramics para o subsector da cerâmica utilitária e deco rativa incluem a participação em feiras nos mercados da Alemanha, França, Itália e Estados Unidos. Para o sub sector dos pavimentos e revestimentos cerâmicos, os mercados-alvo são os mesmos, excluindo a Itália. Nestas iniciativas serão utilizados, além do vídeo, catálogos e outros suportes transversais de comunicação, e outros específicos como brochuras, folhetos e outro material gráfico, audiovisual e multimédia.

A próxima acção de apresentação da marca Por tugal Ceramics , para o sector de pavimentos e revesti mentos, será com a presença em stand na feira BAU, em Munique, de 17 a 22 de Abril 2023.

Estas iniciativas, tal como a marca apresentada em Matosinhos, inserem-se num projecto SIAC Inter nacionalização (Sistema de Apoio a Ações Colectivas), co-financiado pelo FEDER no âmbito do Compete 2020, cujo período de execução decorre até 30 de junho de 2023 e com um orçamento que ronda os 930 mil euros.

Setembro . Outubro . 2022 p.24 . Kéramica . Associativismo

LABORATÓRIO DO CENCAL –CALDAS DA RAINHA LOIÇA EM CONTACTO COM ALIMENTOS

Com o objetivo de permitir a valorização dos re cursos humanos na indústria cerâmica, em 1985 nasce nas atuais instalações, o CENCAL – Centro de Forma ção para a Indústria de Cerâmica . Com uma visão para o futuro foi também adquirido e instalado equipamen to de laboratório cerâmico com o objetivo de ajudar as empresas a controlar as diferentes fases do seu processo de produção. Nasce assim o Laboratório CENCAL. Em 1986 solicita ao IPAC (na altura IPQ) a acreditação para a execução dos testes de determinação dos teores em chumbo e cádmio em loiça em contacto com alimentos. Esta acreditação é concedida em 1987 (Anexo Técnico n.º L0008), o que faz do Laboratório do CENCAL o pri meiro laboratório de cerâmica acreditado em Portugal segundo o referencial normativo EN ISO/IEC 17025 per mitindo iniciar um serviço de grande utilidade para as empresas cerâmicas, que é o de comprovarem a quali dade da loiça exportada. Mais tarde alarga a acreditação para outros ensaios de caracterização de aptidão ao uso de loiça (ver Tabela 1)

Não é por acaso que o ensaio de determinação de teores em chumbo e cádmio em loiça em contacto

com alimentos é o ensaio mais solicitado ao laboratório, pelas empresas de loiça utilitária. A legislação mundial surge porque os materiais em contacto com os alimentos não devem transferir para os alimentos compostos peri gosos para a saúde humana em quantidades não aceitá veis. A fraca eliminação pelo organismo e consequente bioacumulação são responsáveis pelos efeitos tóxicos em diversos órgãos incluindo rim, fígado, pulmão e sistema nervoso. Por exemplo, a exposição ao cádmio está asso ciada ao aparecimento de osteoporose, doenças cardio vasculares, cálculos renais, abortos espontâneos e partos prematuros, infertilidade e parece estar relacionada com

Ensaio Norma

Determinação da migração de chumbo e cádmio em loiça cerâmica, em vidro e outros materiais, em contacto com alimentos

Determinação da absorção de água em loiça cerâmica

Determinação da resistência à fendilhagem por autoclave em loiça cerâmica

Determinação da resistência ao choque térmico em loiça cerâmica

Resistência à máquina de lavar de loiça cerâmica

Determinação da resistência ao micro-ondas de loiça cerâmica

EN 1388-2; EN 1388-1; ISO 6486-1; ASTM C 927; ASTM C 738

EN 1217 - Método A e B

EN 13258 - Método A

EN 1183 - Método B

EN 12875-4

EN 15284

Setembro . Outubro . 2022 Saúde . Kéramica . p.25 Saúde
Tabela 1

o desenvolvimento de doenças neurodegenerativas tais como Alzheimer, Parkinson e Huntington. O chumbo está relacionado com o desenvolvimento de anemia, os teoporose, colesterol elevado, cólica saturnina, proble mas do foro psiquiátrico e doenças neurodegenerativas, aparecimento da placa aterosclerótica com as doenças cardiovasculares associadas.

Entre 2009 e 2010 foi feito um estudo pela EFSA (Autoridade Europeia de Segurança Alimentar) que con cluiu que o chumbo pode causar efeitos adversos em crianças se ingerido em cerca de 30µg/dia. Tendo con siderado que 3 µg/kg de comida poderia servir como um valor indicativo para os materiais em contacto com ali mentos, deu um parecer em que propôs 3 µg como in gestão tolerável.

À data, a legislação europeia sobre os materiais em contacto com alimentos assenta num regulamento de base, o Regulamento do Parlamento e do Conselho Europeus 1935/2004 que estabelece os princípios e os requisitos gerais para todos os materiais. Atualmente existe legislação (Diretivas Europeias) para os materiais plásticos, cerâmica, celulose regenerada e para algumas substâncias específicas. Para os restantes materiais, apli ca-se a legislação nacional de cada país.

O Artigo 5º alínea e) do regulamento 1935/2004 aponta para limites específicos relativamente à migra ção de certos constituintes como medida específica para grupos de materiais. No caso da loiça cerâmica a Diretiva 84/500/EEC de 1984 estabelece as substâncias e os limi tes de migração admissíveis (ver Tabela 2).

A Diretiva 2005/31/CE vem alterar a Diretiva n.º 84/500/CEE, no que diz respeito à declaração de conformidade e aos critérios de desempenho do método analítico. No Artigo 2.º esta diretiva refere que a declara ção de conformidade deve ser emitida pelo fabricante ou por um vendedor e no Anexo III estão listadas as infor mações que devem constar da referida declaração.

O Decreto Lei nº 190-2007 transpõe para a or dem jurídica interna a Diretiva 2005/31/CE, bem como a Diretiva 84/500/CEE.

O estudo da EFSA vem concluir que os limites em vigor estão desajustados da realidade e por isso na Europa avizinham-se, há já alguns anos, alterações na regulamentação e legislação dos limites admissíveis.

Em 2012 a Comissão Europeia publicou um 1º draft de revisão da Diretiva 84/500/EEC com o objeti vo de reduzir substancialmente os limites de chumbo e cádmio. Esta proposta de redução de 400 vezes inferior para o chumbo e 60 vezes inferior para o cádmio, no caso da categoria 2 por exemplo, implica um esforço suple mentar para as empresas, os produtores de matérias-pri mas e os laboratórios. Além disso, existe a possibilidade

CATEGORIA

Tabela 2
Setembro . Outubro . 2022 p.26 . Kéramica . Saúde
Limite Chumbo Pb Limite Cádmio Cd
Categoria
Objetos que não são passíveis de enchimento ou objetos passíveis de enchimento, cuja profundidade interna medida entre o ponto mais baixo e o plano horizontal que passa pela borda superior é igual ou inferior a 25 mm
mg / dm2 0,07 mg / dm2
CATEGORIA 1
0,8
2 Todos os outros objetos que podem ser enchidos
mg/L
mg/L
Utensílios para cozinhar; embalagens e recipientes de armazenagem com uma capacidade superior a 3 litros
mg/L
mg/L Saúde
4
0,3
CATEGORIA 3
1,5
0,1

de alargar a outros metais a obrigatoriedade de cumprir com limites, nomeadamente cobalto, arsénio, alumínio, já obrigatórios em França, e ainda bário, antimónio, zin co, cobre manganês, etc.

Esta legislação e regulamentação europeia ainda não foi publicada, mas muitas empresas de loiça utilitá ria estão a ser “obrigadas” pelos seus clientes a demons trar que a loiça que produzem cumpre com limites, por eles criados, de migração de metais.

De referir que neste momento os métodos de ex tração dos metais, 24h em ácido acético a 4% (1 extração), são referidos em todas as normas de ensaio europeias ou americanas, e, portanto, não diferem particularmente uns dos outros (ver Tabela 3)

Normas

EN

ISO

ASTM C 927-80 (2019)

Estados

ASTM C 738-94 (2020)

Estados

BS 6748_1986+A12011

Inglaterra Loiça Cerâmica

ISO

DIN 51032:2017

Alemanha

ISO 8391-1: 1986

Europa Loiça cerâmica

ISO 4531:2018

A Comissão Europeia propõe também que os mé todos sejam alterados no que diz respeito ao tipo de si mulante, concentração do simulante, tempo de contacto com o material, e/ou temperatura durante o período de contacto.

Setembro . Outubro . 2022 Saúde . Kéramica . p.27 Saude
Tabela 3
Materiais e superfícies de contacto
1388-1: 1995 Europa Loiça cerâmica
Inclui
Nota: Esta
extração
6486-1:2019 Europa Loiça cerâmica e vidro
Drinking Rim
norma refere 24hx3 de
Unidos da América Lip/Rim - Loiça cerâmica e vidro
Unidos da América Superfícies cerâmicas vidradas
7086-1:2019 Europa Loiça Vidro Inclui Drinking Rim
Loiça Vidro e Cerâmica
Europa Superfícies vítreas

Saúde

Método (1 Extração) Método (3 Extrações) Método (3 Extrações) Método (*)

Metal Limite Presente Categoria 2 (mg/l) Dir. 84/500/EEC

Proposta de Limites Categoria 2 (mg/l) Dir. 84/500/EEC DM-4B-COM-001-V02 França ISO 4531:2018 (mg/l)

Chumbo (Pb) 4 0,010 0,010

Cádmio (Cd) 0,3 0,005 0,005

Alumínio (Al) 1 1 5

Arsénio (As) 0,002 0,002 0,002

Bário (Ba) 1,2 1,2

Cobalto (Co) 0,020 0,020 0,1 Níquel (Ni) 0,020 0,14 Crómio (Cr) proibido 0,25 Prata (Ag) 0,08 Cobre (Cu) 4

Lítio (Li) 0,48 Manganês (Mn) 1,8 Molibdénio (Mo) 0,12 Estanho (Sb) 0,04 Vanádio (V) 0,01 Zinco (Zn) 5

Na Tabela 4 apresenta-se um resumo dos metais e respetivos limites publicados ou a serem publicados, com base no 1º draft da diretiva 84/500/EEC, na legisla ção francesa, e na norma ISO 4531.

A ISO 4531 foi publicada em 2018 e inclui diferen tes métodos de extração, diferentes metais e respetivos limites admissíveis.

Outros limites admissíveis para chumbo e cád mio são considerados, dependendo do país de expor tação. Por exemplo, no caso dos Estados Unidos da América é a FDA (Food and Drugs Administration) que regulamenta os materiais em contacto com alimentos. (ver Tabela 5).

O laboratório do CENCAL executa cerca de 8.000 ensaios por ano de determinação dos teores em chumbo e cádmio e é com otimismo que enfrenta as alterações que se avizinham. A aquisição de novos equipamentos que permitirão efetuar novos ensaios, a aquisição de no vas competências, e o consequente alargamento da acre ditação é uma realidade a curto prazo.

Responder às necessidades e solicitações dos clientes é um dos principais objetivos do laboratório, e é com esse espírito que continuará a sua relação com o sector da loiça utilitária e decorativa.

Setembro . Outubro . 2022
p.28 . Kéramica . Saúde
* Ácido acético a 3%: Peças para ser usadas à temperatura ambiente - 24h a 40ºC; Peças para ser usadas com líquidos quentes - 2h
70ºC; Peças
Peças
Categoria Características FDA Limite chumbo FDA Limite cádmio Proposition 65 Limite chumbo Flatware Profundidade < 25 mm 3,0 mg/L 0,5 mg/L 0,226 mg/L Small holloware Volume <1.1 L 2,0 mg/L 0,5 mg/L 0,1 mg/L Large holloware Volume ≥ 1.1 L 1,0 mg/L 0,25 mg/L 0,1 mg/L Cups and Mugs 0,5 mg/L
mg/L Pitcher 0,5 mg/L
a
de barbecues - 30 min a 95ºC;
de forno - 2h a 95ºC
0,1
0,1 mg/L Tabela 4 Tabela 5
Setembro . Outubro . 2022 See you soon! cevisama.com 27 Feb – 3 Mar 2023 València – Spain #cevisama23 cevisama@feriavalencia.com #savethedate

Informação Diversa

CERTIF COM MAIS 15% DE AUDITORIAS

Produtos da construção lideram certificação. Mar cação CE cresce. Acordos no Reino Unido para Marcação UKCA.

A CERTIF, líder de mercado em Portugal na certifica ção de produto e marcação CE, registou no primeiro semestre um crescimento homólogo de 15% nas auditorias realizadas. Depois de um início de ano afetado por adiamentos devido a restrições com a pandemia, foi também possível recuperar a programação e retomar totalmente as ações presenciais no estrangeiro.

A evolução positiva das exportações de bens e a neces sidade de evidenciar a certificação do produto em vários mer cados, seja por exigência legal, seja por exigência dos clientes, foram fatores que influenciaram de forma positiva a atividade do 1º semestre.

Na marcação CE, foram estabelecidos acordos com organismos de certificação ingleses que permitem aos clientes da CERTIF o acesso à marcação UKCA. Note-se também que existem já 25 empresas com certificados de controlo de produ ção na fábrica para a norma EN 1090-1: Estruturas metálicas.

Certificação de Produtos

Considerando o grau de penetração da CERTIF nos setores que mais procuram a certificação de produtos, não se verificou uma entrada significativa de novos clientes sendo, contudo, de assinalar a emissão de novos certificados para clientes atuais que fazem a extensão a novas gamas de produ tos mostrando, assim, a sua fidelização.

De registar os novos certificados no âmbito do CB-Scheme que se destinam à exportação de produtos elétri cos. Registou-se, também, a entrada de novos clientes estran geiros fabricantes de produtos de construção.

A distribuição dos produtos certificados por setor manteve-se a seguinte:

Setores Esquemas de certificação Tipos de produtos certificados

Alimentar 2 4 Elétrico 9 9 Construção 38 182 Outros 3 5

Total 52 281

Certificação de serviços

Houve lugar à emissão de cerca de 80 novos certi

ficados para empresas que trabalham com gases fluorados, elevando para mais de 1.400 certificados emitidos, correspon dendo a mais de 80% do mercado. No esquema FER – Fim do Estatuto de Resíduo estão válidos 15 certificados.

Certificação de Sistemas de Gestão

A CERTIF tem cerca de 150 certificados emitidos sen do, na sua maioria, de empresas que certificam, igualmente, com a CERTIF os seus produtos ou serviços, permitindo uma significativa redução de custos.

Certificação

de Pessoas

Estavam válidas, no final do semestre, 73 certificações nos seguintes domínios:

• 1 Auditores para a norma ISO 9001

• 9 Auditores para a norma ISO 50001

• 52 Instaladores de janelas eficientes

• 2 Projetistas de sistemas solares térmicos

• 9 Projetistas de térmica de edifícios

Marcação CE

A CERTIF continua a manter a liderança na marcação CE para produtos da construção, dispondo de uma vasta ofer ta que possibilita às empresas portuguesas o acesso à marca ção CE e que, de outra forma, teriam de recorrer a organismos estrangeiros.

O conflito entre a Comissão Europeia e o CEN tem impedido a publicação de novas normas harmonizadas, pelo que os 40 certificados emitidos cobrem extensões de produtos e novos clientes estrangeiros.

Existem já 25 empresas com certificados de controlo de produção na fábrica para a norma EN 1090-1: Estruturas Metálicas.

De salientar os Acordos estabelecidos pela CERTIF com organismos de certificação ingleses que permitem aos nossos clientes o acesso à marcação UKCA.

DAP – Declarações Ambientais de Produto Este semestre foi muito ativo no que se refere às DAP, sobretudo por exigência do mercado em casos de exportação.

A CERTIF, sendo a única entidade reconhecida pela Plataforma para a Construção Sustentável para atuar no âmbito do Sistema DAP Habitat, promoveu a verificação de 11 novas DAP e a renovação de 2 DAP já existentes.

Setembro . Outubro . 2022 p.30 . Kéramica . Informação Diversa
Setembro . Outubro . 2022 CREDIBILIDADE - IMPARCIALIDADE - RIGOR reconhecidos na certificação de produtos e serviços e de sistemas de gestão Membro de vários Acordos de Reconhecimento Mútuo Presente em 25 países Parceiro de Confiança no seu Negócio R. José Afonso, 9 E – 2810-237 Almada – Portugal — Tel. 351.212 586 940 – E-mail: mail@certif.pt – www.certif.pt Acreditada pelo IPAC
organismo de certificação de produtos
dos Produtos de Construção), serviços e
de gestão © TRAÇO E MEIO –DESIGN Foto: 34033571 © Rangizzz | Dreamstime.com
como
(incluindo Regulamento
sistemas

Informação Diversa

AMBIENTE - FEIRA LÍDER INTERNACIONAL

Sob o lema "Casa dos Bens de Consumo", Am biente, Christmasworld e Creativeworld serão realizados simultaneamente, pela primeira vez, num dos centros de feiras mais modernos do mundo, a Messe Frankfurt de 3-4 a 7 de Fevereiro de 2023.

A recém-criada combinação de três feiras comerciais líderes de sucesso num único local combinando assim uma gama de produtos sem precedentes, simultaneamente disponíveis e orientados para o futuro, em qualidade e quantidade. O negócio global com grandes volumes é intensificado. A Messe Frankfurt vai continuar a oferecer a maior plataforma para fornecimento global fora da China. Frankfurt é assim o centro da época da ordem global, reforçando a sinergia, efeitos e eficiência para todos os participantes, sendo assim o único evento de inspiração abrangente, ordem e rede de contactos para uma indústria globalizada. É aqui que são apresentadas as mais recentes tendências e que as metáforas globais são experimentadas

Novas perspectivas abrem oportunidades por descobrir: Como a principal feira internacional de bens de consumo, Ambiente mapeia as mudanças no merca do com os olhos postos no futuro. Durante cinco dias, apresenta uma mistura única de ideias e produtos – e é a plataforma para tendências globais. Para os artigos de mesa, cozinha e artigos para o lar, a feira é o inigualável Nº 1 no segmento Dinning. Em Living, todos os estilos e segmentos de mercados podem ser experimentados em torno da casa, mobilando e decorações. Dar presentes e acessórios pessoais em todas as facetas e, no futuro, oferecer papelaria, bem como artigos relacionados com material escolar. A nova secção Working dá a conhecer o mundo do trabalho de amanhã. Com os seus segmen tos future-oriented HoReCa e Contract Business, a Am biente tem também um forte enfoque no negócio dos

contractos internacionais. Os principais temas da sus tentabilidade, novos trabalhos, design, estilo de vida, ex pansão digital, do comércio, e o futuro retalho acompa nham o evento, tal como um grande número de eventos da indústria, programas de jovens talentos, apresenta ções de tendências e cerimónias de entrega de prémios. Devido à sua inigualável gama de produtos em termos de amplitude e profundidade, este evento é único no mun do e oferece as melhores ligações para fazer contactos e encontrar novos parceiros comerciais.

Na área de Sourcing de Ambiente e Christmas world, que se realiza simultaneamente pela primeira vez, visitantes do comércio encontrarão um espectro único de produtores internacionais sobre a maior plataforma fornecedora fora da China. Ao ter as duas feiras em pa ralelo, uma gama global de Ambiente Comer, Viver, Dar e Trabalhar, bem como o Mundo do Natal, serão agru pados em Halls 10 e 11.1 – abrindo contactos adicionais e valiosos e um grau máximo de internacionalidade para os expositores.

Setembro . Outubro . 2022 p.32 . Kéramica . Informação Diversa

DINING is served

A Ambiente está a mudar o mercado dos bens de consumo para a casa. Estruturas inovadoras dão forma à diversidade de produtos. Aos mundos do Dining, Living e Giving junta-se agora o sector Working, que abre novas perspectivas de negócio com os seus temas visionários.

Descubra a Ambiente do futuro: ambiente.messefrankfurt.com info@portugal.messefrankfurt.com Tel. +351 21 7 93 91 40

73987-020_AM_AZ_Dining_Keramica_210x297 • FOGRA 39 • C M Y K • ek | nh DU: 07.10.2022 PT de 3 a 7. 2. 2023 FRANKFURT / MAIN the show

Informação Diversa

Há anos que os importadores, bem como os fa bricantes, têm encontrado parceiros na área de sourcing para negócios de volume, desde produção industrial até fabrico artesanal bens de todo o mundo - muitos deles produzidos sob aspectos sustentáveis. Com a sua locali zação central no recinto da exposição e ligação directa entre si, Halls 10 e 11 criam curtas distâncias e uma rápida visão geral das soluções actuais em termos de amplitude e profundidade. "Ao agregar os produtos das duas princi pais feiras comerciais, Ambiente e Christmasworld, que podem ser chamadas numa data de encomenda, estamos a criar novas sinergias valiosas e oportunidades de con

tacto e negócios sem precedentes. Também nos fornece marketing e alta frequência de visitantes. Para os com pradores que não tenham sido previamente fornecidos globalmente, isto proporciona um acesso sem complica ções a mercados adicionais.

Como a maior plataforma sourcing disponível fora da China, o Global Sourcing é ideal para o estabele cimento sistemático contactos e conclusão de negócios de contentores com fabricantes", diz Philipp Ferger, Vi ce-presidente. Feiras de Bens de Consumo

O elevado grau de internacionalidade é mais uma vez o USP (Unique Selling Point - Ponto Único de Venda) da Ambiente e Christmasworld. Expositores individuais ou organizadores como parte de stands conjuntos da Índia, Hong Kong, Taiwan, China e numerosos países da América Latina, África e a Europa de Leste apresen tam as suas diversas gamas. Por exemplo, para além dos países já listados, o Hall Level 10.4 tem expositores do Bangladesh, Camboja, Egipto, El Salvador, Gana, Indo nésia, Quénia, Mianmar, Paquistão, Palestina, Peru, Sri Lanka, Tailândia, Filipinas e Vietname. Além disso, os organizadores sem fins lucrativos estão representados - incluindo o Centro para a Promoção das Importações dos países em desenvolvimento (CBI) ou a Organização Mundial do Comércio Justo (WFTO). O mercado global irá finalmente reunir-se de novo na coração da Europa - no centro da época da ordem mundial - de 3 a 7 de Fevereiro de 2023, após uma pausa forçada de dois anos.

Setembro . Outubro . 2022 p.34 . Kéramica . Informação Diversa

Notícias & Informações

NOVIDADES DAS EMPRESAS CERÂMICAS PORTUGUESAS

ALELUIA

Aleluia Cerâmicas revela novas coleções na CERSAIE 2022

De 26 a 30 de setembro, a cidade de Bolonha, em Itália, voltou a receber a Cersaie 2022, Feira Internacional de Cerâ mica. Considerada um dos maiores eventos do setor, junta os principais fabricantes mundiais de cerâmica que aproveitam este palco para revelar as suas novidades. Mantendo a habitual presença nesta feira, a Aleluia Cerâmicas apresentou-se com um stand inspirado no estilo minimalista, onde foram revela das 4 novas coleções, juntamente com novidades em outras 2 coleções atuais.

Flow | A fluidez e harmonia na conjugação de materiais

Flow apresenta-se como uma solução ideal para a unir diferentes espaços sem retirar a sua individualidade, criando combinações fluidas e harmoniosas cheias de modernidade. Desafiando a criatividade dos arquitetos e designers de inte rior, oferece uma conjugação de um cimento liso com a sobrie dade da pedra, aliados ao brilho e riqueza tátil da majolica, ideal para a construção de ambientes minimalistas. Disponível em 4 cores sóbrias e subtis e 3 acabamentos, oferece uma elevada

versatilidade na aplicação para criar espaços com sensação de resistência e durabilidade.

PALACE | Luxo e requinte Inspirado nos grandes palácios da Índia e Médio Oriente, Palace transporta-nos para um mundo de luxo e re quinte que só o mármore pode oferecer. Com veios dourados e suaves manchas cinzentas, dispostas sobre um fundo mar cadamente branco, oferece à decoração um visual elegante e minimalista.

Disponível em acabamento de brilho e acetinado. No acabamento acetinado, possui com uma textura muito suave que garante uma agradável sensação ao toque. A opção de aca bamento brilho em revestimento e de polido brilho em porce lanato, torna-se ideal para a criação de espaços mais sofistica dos. Dispõe ainda de duas opções de decorado que garantem uma elevada versatilidade na criação de espaços exclusivos e refinados.

Pure Travertine | Visual moderno num material intemporal

Reinterpretando um dos mármores mais intemporais, Pure Travertine herda toda a elegância e suavidade do traver

Setembro . Outubro . 2022 Notícias & Informações . Kéramica . p.35
Aleluia Ceràmicas Flow Coal Aleluia Ceràmicas Palace White Satin + Oslo Reed

tino num novo conceito minimalista. Com um visual menos marcado e uma gama de cores contemporânea, alia um efeito mineral a delicadas nuances para criar espaços confortáveis e harmoniosos.

Disponível para chão e parede, apresenta 3 acabamen tos em porcelanato – natural, polido brilho e antiderrapante – e 2 acabamentos em revestimento – mate e brilho. É ainda complementada com uma vasta gama de decorados que per mitem a construção de uma decoração com forte personali dade.

Eternal Stone | Sofisticação orgânica

Inspirada na pedra calcária, a coleção Eternal Stone absorve toda a naturalidade orgânica do visual suave da pedra para criar espaços aconchegantes e confortáveis. Com tons neutros e suaves, alia a beleza e versatilidade para oferecer elegância à decoração dos espaços.

O decor talisman, em relevo 3D em padrão geométri co, permite acrescentar um original toque de sofisticação orgâ nica cheio de modernidade, sem contudo comprometer a sua intemporalidade.

OSLO | Espaços acolhedores com um toque escandinavo

Inspirada na sóbria elegância do estilo escandinavo, Oslo é uma madeira de visual mais limpo e harmonioso que apela a espaços serenos e relaxantes. Complementada com o novo decorado Reed, permite a construção de zonas de des taque que oferecem à decoração uma maior sensação de con forto.

Produzido em 3 cores quentes e suaves – Ash, Vanilla e Almond – a coleção Oslo apela à criação de espaços serenos e relaxantes.

BOSCO | A naturalidade e a autenticidade da essência da madeira.

Nascido de uma apurada seleção de madeiras, Bosco reflete a autenticidade da sua beleza, reproduzindo fielmente os veios e nós e a textura suave ao toque que lhe são caracterís ticos. Um pavimento intemporal e cheio de personalidade que transforma qualquer espaço num modelo de estilo e distinção. Produto retificado para melhor acabamento e disponível em duas larguras – 14.5 cm ou 22.05 cm – que poderão ser utiliza das uniformemente ou intercaladas para um efeito mais enri quecido (proporção de área de 60% em 22.05cm e 40% em 14.5).

Setembro . Outubro . 2022
p.36 . Kéramica . Notícias & Informações
Aleluia Ceràmicas Pure Travertine Groove Grey Aleluia Ceràmicas Eternal Stone Beige Aleluia Ceràmicas Oslo Reed Vanilla Aleluia Ceràmicas Bosco Prisma Castagno
Notícias & Informações

Notícias & Informações

Para zonas de destaque mais sofisticadas, conta com o novo decorado Prisma que oferece aos espaços um visual acon chegante e natural.

CINCA KINGSTONE. O equilíbrio perfeito e natural entre a praticidade e a emoção, a funcionalidade e o hedonismo.

O desejo de redescobrir a essência original dos ma teriais e dos seus detalhes está na génese do novo pavimento com efeito pedra. Este porcelânico de pasta corada decorado revive e reinterpreta sofisticadamente o mineral.

A coleção KINGSTONE inspira-se na beleza da natu reza: recria as subtilizas do calcário em tom moderno, propon do uma gráfica natural e minimalista capaz de fascinar e sur preender, ideal tanto para ambientes internos como exteriores.

A Coleção KINGSTONE em porcelânico de pasta corada decorado com efeito pedra é apresentada em 60x120, 60x60 e 30x60 (retificados) e 45x45, 4 cores intemporais (bran co, bege, cinza claro e noz), 3 mosaicos e peça de degrau linear para completar, e acabamento antiderrapante R10 + B.

KINGSTONE, quando a natureza se torna a inspiração para um produto cerâmico, apresentando cores e combinações para criar o equilíbrio perfeito entre praticidade e emoção, fun cionalidade e hedonismo

MANHATTAN. Subtis tons pastel, para recriar looks clássicos e tradicionais em ambientes modernos.

Após os confinamentos que enfrentamos no passado, tivemos mais tempo para refletir e possivelmente pensar em reformar as nossas casas. MANHATTAN é uma aposta segura para revestimentos de pequeno formato. Este elegante reves timento em porcelanato vidrado de 7,5x25cm e brilho sublime apresentado em sutis tons pastel é ideal para recriar looks clás sicos e tradicionais em ambientes modernos.

MANHATTAN, a nova coleção da CINCA é apresen tada em acabamento brilhante e mate, com toque macio e cor intensa e profunda. Esta coleção versátil pode facilmente criar um ambiente de época, como igualmente se sente em casa num interior contemporâneo onde a cor se destaca e permite dar asas à imaginação.

Disponível em 6 cores (branco, mist, caramelo, breeze, prata e preto), 2 acabamentos e um formato único: 7,5x25cm.

MANHATTAN, onde a cor é o centro das atenções seja em acabamento mate ou brilhante, criando contrastes ou aplicações tom sobre tom. Jovial e versátil, pode ser usado em qualquer superfície, dando liberdade para criar múltiplos pa drões e combinações.

LUX. Contraste de cores e jogos de sombra: de con figurações suaves a cores brilhantes e dinâmicas. Estruturas harmoniosas decoradas com linhas, dese nhos e cores que criam um movimento contínuo, exprime-se numa musicalidade visual moderna e elegante. Esta é LUX: uma coleção de revestimentos em Porcelanato Vidrado a imi tar vidro resinado.

Fortemente destonalizada e lustrada, desenhada para criar inúmeras combinações devido às mais de 40 variações gráficas, LUX é uma coleção refinadamente estética.

Somam-se as estruturas, cores e veios inspirados no passado e adaptados ao gosto do design contemporâneo.

Tudo isto disponível em 6 cores brilhantes (branco, cinza, prata, azul céu, verde e multicor) e num único forma to:c7,5×25cm.

Setembro . Outubro . 2022 Notícias & Informações . Kéramica . p.37
Cinca . Branco White 60× 120 cm RTF ∙ 60×60 cm RTF 24"× 47" RTF 24"× 24" RTF Cinca . Manhattan Breeze Breeze 7,5× 25 cm 3"×10" | 8803 Cinca Lux | Branco White 7,5× 25 cm 3"×10" | 9300

vas, tanto em ambientes residenciais como comerciais, devido à sua estética e grande variedade gráfica.

RETRO. Um cimento de inspiração "industrial-shabby-chic".

Uma reinterpretação pura e evocativa do cimento, para um ambiente industrial aconchegante, embelezado pelo charme cru de detalhes irregulares e pequenos seixos.

Esta coleção com efeito cimento em porcelânico pasta corada decorado, está disponível em 60 × 120 e 60 × 60 (retifi cados) e M 45 × 45, 4 cores intemporais, 3 mosaicos, a de degrau e acabamento anti-derrapante R10 + B.

Concebida para decorar ambientes com um look sha bby-chic, o decorado TERRAZZO cria uma atmosfera natural, acolhedora e requintada para designs de interiores com ins piração urbana. Esta alegre combinação do padrão terrazzo em cimento com inserções de cerâmica é uma composição equilibrada de design, cor e vitalidade. Também disponível nos tamanhos 60 × 120 e 60 × 60 (retificado e não retificado).

PORCEL

A Porcel revela uma nova plataforma Crie a sua mesa perfeita sem sair de sua casa

A Porcel, marca e produtora nacional de porcelana lançou no início de Setembro a sua nova plataforma Combina ções Perfeitas. Nesta inovadora plataforma os clientes podem combinar diferentes coleções Porcel entre si, bem como com o ambiente que as rodeia. Após conceber a sua mesa perfeita, pode partilhá-la nas suas redes sociais, enviar um pedido para obter mais informações acerca das peças ou apenas guardar a imagem para inspiração futura!

Combinações Perfeitas é facilmente acessível através do site da Porcel, inclusivamente em dispositivos portáteis, para que possa criar a sua mesa ideal em qualquer altura e qualquer lugar.

PAVIGRÉS

BEDROCK – Excellency Concept

Por baixo da superfície solta, encontra-se uma obra -prima da estrutura geológica chamada Bedrock.

Mineral ainda por nascer, cru e puro, emerge para a vida com diversidade em actos aleatórios de beleza criados pela natureza.

Atingir a excelência é conceber o que não podemos vêr e adicionar texturas sem as conseguir sentir, combinando a imaginação com a experiência do saber fazer

BRECCIA

Breccia é uma pedra impressionante constituída por diferentes fragmentos retidos na natureza ao longo dos tem pos.

De veios acentuados, dividindo eras de existência, Breccia irradia tons quentes de reflexos únicos fruto da sua complexa microestrutura, permitindo recriar de uma forma fiel o que tem sido vastamente utilizado na Arte, Arquitetura e Design de Interiores ao longo dos últimos séculos.

Setembro . Outubro . 2022
Visite perfectcombinations.porcel.com/pt/
p.38 . Kéramica . Notícias & Informações Notícias & Informações Cinca . Metro | Azul Marinho Navy Blue M 10 × 30 cm 4"×12" | 9316 Pavigrés . Bedrock Greige

CLOUD

Pensar no equilíbrio de um produto é atribuir-lhe uma função clara e os ambientes actuais precisam dele.

Cloud representa a visão de Habitat, do espaço e da estética contemporânea, combinando cores e detalhes bem equilibrados numa superfície macia que define a alma des ta coleção. Adequada para criar espaços interiores grandes e confortáveis, é uma coleção intemporal e está disponível numa vasta gama de formatos, cores e detalhes particulares, criando ambientes harmoniosos ao estilo de vida quotidiano.

SANDSTONE

A coleção Sandstone é uma expressão cultural, a nos sa forma de arte em linhas, formas, cores e texturas. A nossa visão da pedra Piazentina, de toque revivalista no seu desenho original numa combinação única de cores para pavimento e paredes. Peças monocromáticas em preto profundo e cinza claro, traçados por veios brancos definem o design mestre para o pavimento. Para a parede, levámos esta abordagem mais longe, num conceito de cor dupla, misturamos as cores originais com detalhes quentes ligados por profundos veios. O resultado são autênticos painéis de arte com oscilações de detalhes térmicos de infinita beleza.

DECK

Temos uma longa história em produtos sustentáveis e as madeiras em grés porcelânico são apenas um pequeno exemplo disso. Desenvolvemos um produto há muito espera do para adicionar à nossa família de madeiras, o nosso novo Deck. Com um design tridimensional, foi cuidadosamente pensado na drenagem das águas além das características ex cecionais antiderrapantes próprias para exterior. A partir da essência das nossas coleções Coolwood e Deepwood, criamos este Deck em 4 cores naturais. A sustentabilidade de um pro duto e o impacto ambiental está ligado ao seu custo vs. expec tativa de vida útil. Acreditamos que a nossa pegada ambiental muda o mundo e por isso certificamo-nos de que este é e será o nosso caminho.

TERRAZZO

O Terrazzo é, desde o século XV, de uma importância arquitetónica significativa, e apesar da sua origem ser de uma época muito anterior, ganhou especial relevância em Veneza graças à sua estética e durabilidade. Fiéis aos nossos valores, criámos um Terrazzo de elevada performance técnica, sóbrio na sua paleta de cores, sendo algumas delas combináveis com a nossa gama “P21 Architect Collection”.

Setembro . Outubro . 2022
Notícias & Informações . Kéramica . p.39
Notícias & Informações
Pavigrés Breccia Pavigrés Ambiente Cloud Anthracite Pavigrés Sandstone Black WC Pavigrés Deck Ebony

Notícias & Informações

MARGRES / LOVE TILES

Cerâmica, uma escolha sustentável. Endless e Sense em estreia na Cersaie 2022

A Cersaie 2022 foi a altura ideal para as marcas Margres e Love Tiles exibirem as novidades do ano. Do mármo re poderoso ao incrível efeito pedra, estas marcas continuam a captar cenários contemporâneos e trendy. Pelo segundo ano consecutivo as marcas integraram o stand do Panariagroup Village, onde todas as marcas do grupo vivem juntas num único espaço, com aproximadamente 2000 m2, mas sem per der a identidade. Toda a disposição do stand é baseada numa simbiose entre as influências contemporâneas e contribuições para a arquitetura e engenharia. Esta proximidade com as prin cipais marcas mundiais e a posição privilegiada e estratégica na feira, permite à Margres e à Love Tiles ter uma maior projeção para a grande vitrina que é a Cersaie.

Novo na Cersaie

Endless representa a tendência do mármore que veio para ficar como um dos pilares da decoração nos últimos anos. Ao mesmo tempo, esta coleção representa também o lado sus tentável de cerâmica, com um claro compromisso com o grés lâmina. A coleção beneficia de grandes formatos – 300x100,

250x100, 100x100 e 50x100 – para mostrar todo o esplendor do desenho gráfico destas peças e o seu hiper-realismo, com cores e gráficas ricas em profundidade e detalhe. A coleção está também disponível em formatos mais comuns, mas que são igualmente grandes, tais como os tamanhos 90x90 e 60x120.

A coleção Endless tem cinco mármores diferentes que nos levam até universos diferentes. Calacatta Ouro, caracteri zado pelas suas grandes superfícies brancas leitosas e límpidas e pelos seus veios cinzentos e dourados. Depois há o Breccia Capraia, com uma dualidade de veios, cheias de nuances de cor e pequenas incorporações de cristais, sobre um fundo branco. Endless também aposta no Travertino clássico, com um corte longitudinal e veios largos e profundos e uma cor em tons noz absolutamente encantadora. Port Black é um mármore com um aspeto luxuoso, com os seus tons quentes castanhos, cor ten e branco.

Finalmente o exótico Amazonite surpreende com a sua beleza, com a sua cor esverdeada capaz de dar uma apa rência natural e estabelecer uma forte ligação com a natureza.

Aliado à sustentabilidade e à beleza da pedra no seu estado puro e natural, a coleção Sense remete para a elegância épica da pedra e da própria natureza, proporcionando conforto a cada cenário. A pedra de Arsel é uma famosa pedra calcária de origem grega, caracterizada por uma cor beige clara e unifor me com nuances gráficas subtis. Sense recria na perfeição uma extraordinária pedra natural, dando-lhe todas as vantagens do grés porcelânico, particularmente a sua elevada resistência ao desgaste e facilidade de manutenção.

Além disso, as peças apresentam uma estrutura ligeira, semelhante à porosidade da pedra calcária original, mas ténue e

p.40 . Kéramica . Notícias & Informações
Setembro . Outubro . 2022
Ambi
/ Love Tiles Endless Travertino
Terrazzo Beige
Margres
Loja
Margres / Love Tiles Sense Grey Exotic WC

Notícias & Informações

apenas visível a contraluz. A paleta cromática permanece neu tra e com tons suaves – Branco, Bege, Cinzento Claro e Cin zento – como um condutor claro para a sensação de conforto que a coleção pretende oferecer. Os formatos de pavimento – 80x80, 60x60 e 30x60 – acentuam a capacidade de adapta ção a qualquer tipo de construção. Quanto ao revestimento, as opções 35x100 e 35x70 ajudam a dar alguma liberdade à criação e conceção de espaços.

RECER

No maior certame cerâmico do mundo a RECER apresenta as coleções TRENDS 2022

A Recer apresentou na feira Cersaie as suas novas cole ções numa proposta completa capaz de aliar as necessidades da arquitetura construção com um resultado estético moderno e atual.

Após um constante trabalho de pesquisa do nosso Departamento de Design, sempre em busca de tendências e novos estilos, apresentámos em Itália as novas coleções Trends 2022. Materiais com um design vincado que trazem grande naturalidade e dinamismo, cores sóbrias e neutras, grafismos e texturas que nos ligam diretamente com a natureza e sua be leza. Produtos com um design inovador para um novo estilo de vida, soluções cerâmicas concebidas para áreas residenciais, públicas e hoteleiras, resultado da nossa capacidade de prever e responder a mudanças e desenvolvimentos nos estilos de vida, arquitetura e design.

Apresentamos de seguida as 4 novas coleções – Trends 2022:

SWING é uma coleção de pavimentos e revestimen tos com um caráter natural, criado para oferecer um efeito de um cimento moderno adequado para todas as áreas da vida contemporânea. O pavimento porcelânico resulta de uma coerente pesquisa gráfica permitindo apresentar múltiplos efeitos que nos reportam para uma perceção tridimensional. O revestimento é composto por uma paleta expressiva de

cores que combinam com o pavimento porcelânico da série. Os grafismos e os padrões das diversas peças decoradas, de senvolvidas em torno de inspirações de estilo diferentes, pos sibilitam a criação de uma linguagem estética articulada entre formas, texturas e cores. O diálogo entre a cor e o grafismo tem como resultado final projetos únicos, onde o efeito do cimento expressa a beleza de viver em espaços acolhedores, tranquilos e únicos.

GEMMA é uma coleção que se inspira na elegância da pedra mármore. Uma herança estética do passado que se reinterpreta redescobrindo a beleza intrínseca de um material intemporal. Do seu fundo negro irrompe uma malha riquís sima definida em tons de cinza, recortada com natural singu laridade por veios brancos de leitura nítida que definem a sua personalidade. Veios plenos de movimento e uma superfície reminiscente transmitem elegância, luxo, glamour e sensuali dade. Está vocacionada para aplicações de interior e exterior, espaços residenciais ou públicos, dado aos seus dois acaba mentos (natural e antiderrapante). Um produto porcelânico com capacidade de fusão com outros materiais, tais como pe dras, madeiras, etc. Uma cultura moderna e uma nova forma de interpretar os clássicos da natureza transpondo-os para o design de interiores e para a arquitetura.

ANKER é uma pedra porcelânica detentora de um estilo intenso e autêntico, transmitindo elegância e harmonia, concebida para espaços onde o design deixa uma marca distin tiva. Uma pedra relaxante com delicadas vibrações cromáticas e ténues oxidações. Proposta cerâmica inspirada nas rochas se dimentares onde os seus múltiplos tons de cinzas, bege e mar rom oxido geram um refinado dinamismo, num pavimento ideal para potenciar projetos de reabilitação e construção nova quando se procura espaços naturais e acolhedores. Produto desenvolvido para os diversos espaços (exteriores e interiores) dado aos seus dois acabamentos (natural e antiderrapante) e uma superfície fluida que permite diálogo com outros mate riais de modo uniforme e discreto.

Setembro . Outubro . 2022
Notícias & Informações . Kéramica . p.41
Recer
Recer Swing Petrol Blue
Gemma

Notícias & Informações

APOLO é uma coleção “cotto/cimento” criada com apelo à naturalidade e onde os fragmentos e pigmentos de diferentes tonalidades emergem em dimensões e intensidade díspares, misturando-se em movimentos difusos e infinitos. O resultado final é um produto compósito, com um design ele gante e um efeito visual único em cada peça cerâmica. Da sua aplicação surgem espaços únicos e intemporais, com a capaci dade de criar atmosferas de rusticidade contemporânea, ousa das, dinâmicas e elegantes.

REVIGRÉS REVIGRÉS APRESENTA SYNCHRONY NA

CERSAIE 2022

Novas coleções refletem o contributo dos revestimen tos e pavimentos cerâmicos para uma construção mais susten tável.

De 26 a 30 de setembro, em Bolonha, a marca convi dou os visitantes da maior feira internacional do setor cerâmi co a conhecer as novas coleções SYNCHRONY, num espaço de exposição que reflete as atuais preocupações com a susten tabilidade ambiental.

Com o efeito ultra realístico da madeira, do mármore e da pedra natural, as novas coleções apresentam revestimentos e pavimentos cerâmicos inspirados nas texturas e tons destes materiais, contribuindo para evitar a delapidação dos recursos naturais.

A coleção Nordik reproduz a madeira nórdica para criar ambientes acolhedores, introduzindo 3 novas cores e o acaba mento antiderrapante para espaços exteriores.

As coleções com o efeito do mármore – Calacatta Clas sic, Onix Gold e Rainforest Green – distinguem-se pela cor da sua superfície e intensidade dos seus veios, sempre fiéis aos do mármore original que as inspirou, criando espaços com diferen tes estilos.

Limestone, French Stone e Di Alba Stone reproduzem os movimentos aleatórios da pedra natural, contribuindo para desenhar espaços elegantes.

Através desta verdadeira sincronia de efeitos, a natureza invade o interior promovendo uma conexão com a paisagem. Juntas ou em combinação com o efeito de outros materiais, as novas coleções SYNCHRONY resultam em vários estilos de decoração para áreas interiores e exteriores e espaços públicos e residenciais.

Ao mesmo tempo, a versatilidade, durabilidade e inalte rabilidade associadas ao grés porcelânico tornam-nas compatí veis com inúmeros modelos e soluções construtivas, contribuin do para uma construção mais sustentável.

As novas coleções SYNCRONY já estão disponíveis em Objetos BIM, utilizados pelos projetistas e arquitetos em mode los 3D interativos com vista a uma projeção, conclusão e manu tenção de edifícios mais rápida, económica e sustentável.

p.44 . Kéramica . Notícias & Informações
Setembro . Outubro . 2022
Stand
2023 Revigrés . Synchrony DiAlbaStone Revigrés Synchrony Nordik Revigrés Synchrony Marbles
Recer
Cersaie

À semelhança de todas as coleções em grés porcelânico da Revigrés apresentam Declarações Ambientais de Produto que garantem o cumprimento dos requisitos de diversos sistemas de certificação ambiental dos edifícios, entre os quais os sistemas BREEAM e LEED.

Mais informação em https://www.revigres.pt/p/revesti mentos-e-pavimentos-ceramicos-synchrony.

SANINDUSA

Idéobain 2022 em Paris recebe novidades Sanindusa

Depois de Milão foi agora a vez de Paris receber novida des com a marca Sanindusa. De 3 a 6 de outubro a empresa mar cou presença na Idéobain 2022 que aconteceu na capital francesa no Parque de Exposições Porte de Versailles.

Esta feira, de cariz internacional, é especializada em ma teriais e equipamentos de casa de banho e reúne as últimas ten dências de estilo e design do sector. É igualmente a oportunidade perfeita para firmar negócios e parcerias com profissionais das áreas de arquitetura, construção, instalação e distribuição.

Durante 4 dias a Sanindusa, uma das poucas empresas portuguesas presentes no evento, apresentou as suas inovações em primeira mão num stand especialmente projetado para a oca sião e subordinado ao tema “Marcher vers le futur”. Neste espa ço próprio, com 54 m2, promoveu novos produtos, novas cores, novos acabamentos e novos materiais. Entre as 9 e as 19 horas, de segunda a quinta-feira, foi possível visitá-lo no pavilhão 2.2 e encontrar soluções e inspirações que otimizarão os projetos de construção ou renovação.

Bases de chuveiro e lavatório em solid surface, divisórias para duche, mobiliário de casa de banho e louça sanitária em ce râmica estarão entre os destaques da participação deste ano. De salientar ainda a presença no stand da sanita suspensa texturada da coleção Sanlife recentemente distinguida com 3 prestigiados prémios internacionais de design.

A feira é estritamente reservada a profissionais do sector que necessitarão de efetuar a respetiva credenciação para a visi ta. Na última edição o evento acolheu mais de 18000 visitantes maioritariamente de nacionalidade francesa.

Apresentar tendências, lançar novos produtos e expan dir a rede de negócios são motivos mais do que suficientes para a Sanindusa renovar a sua participação e confirmar a sua presença na Idéobain deste ano.

Sanindusa recebeu visita da AICEP Portugal Global

O dia 26 de setembro ficou registado pela visita institu cional da AICEP Portugal Global – Agência para o Investimento e Comércio Externo de Portugal ao grupo Sanindusa. A comiti va liderada por Luís Filipe de Castro Henriques, presidente do Conselho de Administração, iniciou o programa na Tocha nas instalações da reconstruída Sanindusa 2, exemplo mundial em automação e tecnologia ao dispor da cerâmica de sanitários. A úl tima visita deste organismo público havia sido após os incêndios de outubro de 2017 que devastaram por completo esta unidade industrial.

No decorrer do encontro a AICEP e os representantes da Sanindusa debateram perspetivas futuras e apoios à interna cionalização dos negócios da empresa. Aconselhar sobre oportu nidades de comércio internacional e estratégias de conquista de mercados externos é um dos propósitos desta entidade pública de natureza empresarial e foi um dos objetivos desta visita.

Na sequência deste encontro Eduardo Veiga, Presidente do Conselho de Administração da Sanindusa, referiu que as pa lavras do presidente da AICEP “foram reconfortantes ao elogiar o trabalho efetuado e a dinâmica que estamos a implementar.” Ainda acrescentou que “foi com alguma apreensão que ouvimos a perspetiva dos tempos de crise que se avizinham, não deixando, no entanto, de emitir a sua opinião sobre as melhores formas de tentarmos passar pela recessão com o mínimo de perdas.”

A visita, que continuou pelo showroom na sede da em presa, contou ainda com a presença de dois representantes da OLI: o Administrador António Oliveira e o Diretor de Marketing Daniel Cruz. O programa terminou com um almoço, estando a AICEP ainda representada pela Administradora, Rita Araújo, pelo Especialista da Fileira da Construção Civil e Materiais de Cons trução, Jorge Salvador e ainda por José Simões Ferreira, Chefe do Gabinete do Presidente do Conselho de Administração.

Setembro . Outubro . 2022
Notícias & Informações . Kéramica . p.43

Calendário de eventos

EQUIPHOTEL’2022 (Cerâmica Utilitária e Decorativa) Bienal – Paris (França) De 06 a 10 de Novembro de 2022 equiphotel.com

LONDON BUID ‘2022 (Materiais de Construção) Anual – Londres (UK) De 16 a 17 de Novembro de 2022 londonbuildexpo.com

BIG 5 SHOW´2022 (Materiais de Construção) Anual – Dubai (EAU) De 5 a 8 de Dezembro de 2022 thebig5.ae/

HOMI’2023 (Design/Tendências) Anual – Milão (Itália) De 26 a 29 de Janeiro de 2023 homimilano.com/en/

THE INTERNATIONAL SURFACE EVENT’2023 (Ladrilhos Cerâmicos) Anual – Las Vegas (USA) De 31 de janeiro a 02 de Fevereiro de 2023 Intlsurfaceevent.com

CEVISAMA’2023 (Ladrilhos Cerâmicos) Anual – Valência (Espanha) De 27 de Fevereiro a 3 de Março de 2023 cevisama.feriavalencia.com

THE INSPIRED HOME SHOW´2023 (Cerâmica Utilitária e Decorativa) Anual – Chicago (EUA) De 04 a 07 de Março de 2023 theinspiredhomeshow.com/

ISH’2023 (Cerâmica de Louça Sanitária) Bienal – Frankfurt (Alemanha) De 13 a 17 de Março de 2023 ish.messefrankfurt.com/frankfurt/en.html

EXPOREVESTIR’2023 (Ladrilhos Cerâmicos) Anual – São Paulo (Brasil) De 14 a 17 de Março de 2023 exporevestir.com.br/

MOSBUILD 2023 (Materiais de Construção) Anual – Moscovo (Rússia) De 28 a 31 de Março de 2023 mosbuild.com

TEKTONICA’2023 (Construção) Anual – Lisboa (Portugal) De 04 a 07 de Maio de 2023 tektonica.fil.pt/

THE HOTEL SHOW’2023 (Cerâmica Utilitária e Decorativa) AAnual – Dubai (EAU) De 23 a 25 de Maio de 2023 thehotelshow.com/

NEOCON’ 2023 (Design/Tendências) Anual – Chicago (USA) De 12 a 14 de Junho de 2023 neocon.com//

MAISON & OBJET’2023 (Cerâmica Utilitária e Decorativa Bianual - Paris (França) De 07 a 11 de Setembro de 2023 maison-objet.com

DESIGN London 2023 (Design/Tendências) Anual – Londres (R.U.) De 20 a 23 de Setembro de 2023 designlondon.co.uk/

MAISON & OBJET’2023 (Cerâmica Utilitária e Decorativa) Bianual - Paris (França) De 19 a 23 de Janeiro de 2023 maison-objet.com

AMBIENTE’2023 (Cerâmica Utilitária e Decorativa) Anual – Frankfurt (Alemanha) De 3 a 7 de Fevereiro de 2023 ambiente.messefrankfurt.com

SURFACE DESIGN SHOW’2023 (Ladrilhos Cerâmicos) Anual – Londres (R.U.) De 7 a 9 de Fevereiro de 2023 surfacedesignshow.com/

INDIAN CERAMICS ASIA’2023 (Tecnologia Cerâmica) Anual – Gujarat (India) De 15 a 17 de Fevereiro de 2023 indian-ceramics.com/

The New York Tabletop Show´2023 (Cerâmica Utilitária e Decorativa) Anual – New York (EUA) De 18 a 21 de Abril de 2023 41madison.com/

BAU’2023 (Materiais de Construção) Anual – Munique (Alemanha) De 17 a 22 de Abril de 2023 bau-muenchen.com/en/

SALONE DEL MOBILI’2023 (Design/Tendências) Anual – Milão (Itália) De 18 a 13 de Abril de 2023 salonemilano.it/en

COVERINGS’2023 (Ladrilhos Cerâmicos) Anual – Orlando (USA) De 18 a 21 de Abril de 2023 coverings.com/

CERSAIE’2023 (Ladrilhos Cerâmicos)

Anual – Bolonha (Itália) De 25 a 29 de Setembro de 2023 cersaie.it

INTERIOR LIFESTYLE CHINA’2023 (Cerâmica Utilitária e Decorativa) Anual – Shangai (China) Setembro de 2023 interior-lifestyle-china.hk.messefrankfurt.com

The New York Tabletop Show´2023 (Cerâmica Utilitária e Decorativa) Anual – New York (EUA) De 10 a 13 de Outubro de 2023 41madison.com/

BATIMAT’2024 (Materiais de Construção) Bienal - Paris (França) De 30 Setembro a 06 de Outubro de 2024 batimat.com

Setembro . Outubro . 2022
p.44 . Kéramica . Calendário de Eventos

Turn static files into dynamic content formats.

Create a flipbook
Issuu converts static files into: digital portfolios, online yearbooks, online catalogs, digital photo albums and more. Sign up and create your flipbook.