HI - January - February 2022

Page 1


Paving the way to a better future

Hatchery sets new broodstock production records with the goal to make positive change p.12

HIGHLIGHTS

Hatchery upgrades

SUSTAINABILITY

Researchers explore feasibility of rearing lake whitefish p.16

RESEARCH

Lake whitefish A prehistoric creature Important factors to keep in mind when upgrading your farm p.15

Texas fishery studies species that lived amongst dinosaurs p.18

Smarter Sensors

Industry-leading

Seamless Integration

Modbus

Automatic Compensation

Optional built-in conductivity automatically compensates for salinity – improving accuracy

It’s like when your kids leave home.

You want to make sure they have been prepared with the skills and tools they need to thrive in the big wide world. That’s how we feel about your fry. Early nutrition is essential for life performance. Skretting’s latest diet for trout ensures that your fry receive optimal nutrition in the early stages to prime for faster growth and better yield, while taking care of your farming system.

Nutra Sprint for trout - setting your fish up for life

VOLUME 23, ISSUE 1 | JANUARY/FEBRUARY 2022

Reader Service

Print and digital subscription inquiries or changes, please contact Urszula Grzyb, Audience Development Manager

Tel: (416) 510-5180

Fax: (416) 510-6875

Email: ugrzyb@annexbusinessmedia.com

Mail: 111 Gordon Baker Rd., Suite 400, Toronto, ON M2H 3R1

Editor Catarina Muia cmuia@annexbusinessmedia.com

Associate Editor Jean Ko Din jkodin@annexbusinessmedia.com

Contributors Nestor Arellano, Ruby Gonzalez, Ron Hill, Colin Ley, Liza Mayer, Vladislav Vorotnikov, Bonnie Waycott

Associate Publisher / Advertising Manager Jeremy Thain jthain@annexbusinessmedia.com +1-250-474-3982

Account Manager Morgen Balch mbalch@annexbusinessmedia.com

Media Designer Svetlana Avrutin savrutin@annexbusinessmedia.com

Group Publisher Todd Humber thumber@annexbusinessmedia.com

COO Scott Jamieson sjamieson@annexbusinessmedia.com

PUBLISHED BY ANNEX BUSINESS MEDIA

105 Donly Drive South, Simcoe, ON N3Y 4N5

Hatchery International is published six times a year by Annex Business Media. The authority for statements and claims made in Hatchery International is the responsibility of the contributors. Reference to named products or technologies does not imply endorsement by the publisher.

Subscription rates (six issues) Canada: $37.00

Within North America: $48.00 CAD

Outside North America: $62.00 CAD To subscribe visit our website at www.hatcheryinternational.com

PRINTED IN CANADA ISSN 1922-4117

Publications Mail Agreement #PM40065710

RETURN UNDELIVERABLE CANADIAN ADDRESSES TO 111 Gordon Baker Rd., Suite 400, Toronto, ON M2H 3R1

Annex Privacy Officer Privacy@annexbusinessmedia.com Tel: 800-668-2374

The contents of Hatchery International are copyright ©2022 by Annex Business Media and may not be reproduced in whole or part without written consent. Annex Business Media disclaims any warranty as to the accuracy, completeness or currency of the contents of this publication and disclaims all liability in respect of the results of any action taken or not taken in reliance upon information in this publication.

Next Ad Deadline

The advertising deadline for the March/April issue is January 11. Don’t miss the opportunity to be part of this exciting aquaculture publication. For more information, or to reserve space in the next issue, call our advertising department at +1.250.474.3982 jthain@ annexbusinessmedia.com

Next Editorial Deadline

The editorial deadline for the March/April issue is January 11. Contact Catarina Muia at cmuia@annexbusinessmedia.com for details. Material should be submitted electronically with prior arrangement with the editor.

FROM THE EDITOR

For a better future

With the new year upon us, it's exciting to think about the new projects, ventures, studies, and innovations that will be introduced in 2022 and may one day, make a positive impact not only on the hatchery and aquaculture industries, but on the seafood production industry, as well as the ecosystem and environment as a whole.

Since childhood, I can remember climate change and its affects coming up as topics of discussion frequently, but it wasn't until early adulthood that I understood the weight of the situation. It was less common to hear about 'endangered' species, but every time I'd hear about a new endangered species, my heart would sink a little. As a child, you don't know what to do, or how to help, and you only hope the adults know what they're doing and how to fix the problem.

Today, seeing how the hatchery and aquaculture industries are working to research, study, understand, protect, and rejuvenate at-risk populations is truly inspiring. In all three of this issue’s feature articles, we delve into how three species have seen population depletions, and industry workers are doing everything they can to protect them.

As Siberia has seen a decrease in Siberian sturgeon populations, Russian government agency, Glavrybvod, is looking to restock populations through Abalakskiy, one of the largest hatcheries in Siberia. “The main purpose of Glavrybvod is to restore hampered fish populations back to the conditions large enough to resume fishing. We work with the

ADVERTISERS' INDEX

Siberian sturgeon because it is enlisted in the Russian Red Book of endangered species,” said Vitaly Baranov, director of the Nizhniy-Obskiy branch of Glavrybvod. “If our production will remain at the current level, we expect sturgeon to regain commercial value by 2030.” Read the full article, on page 12.

Due to habitat destruction, overfishing, and invasive species, lake whitefish populations in the fishery located in the North American Great Lakes, have greatly depleted. To combat this and open up the option to commercially fish lake whitefish, researchers are looking into the feasibility of rearing the species as currently, there is only one lake whitefish farm in North America. “There has been a lot of interest in lake whitefish culture from two sectors: established net-pen operators are looking to diversify into new species and see lake whitefish as a good option,” said Marica Chiasson, head of the feasibility pilot project, “and from potential recirculation aquaculture system (RAS) operators who see lake whitefish as a species with good potential for land-based grow out.” Read the full article on page 16. These studies and projects are no easy feat and require great minds, funding, passion, and dedication, which makes me excited to see how they all pan out, and I hope that in the future, I’ll have the opportunity to write about their successes!

With that, I leave you to read this issue of Hatchery International magazine.

Happy reading, Catarina Muia

cmuia@annexbusinessmedia.com

INNOVATION

Mowi Chile uses Garware fabric against sea lice

Mowi Chile’s Huenquillahue research centre has been testing a high-quality fabric by Garware Technical Fibres Ltd. as a mechanical barrier against sea lice (Caligus rogercresseyisea) larvae.

The Garware X12 cloths are being used in skirt as a mechanical barrier in its salmon farming centres. The meshes were tested by means of sieves for the forced passage of the water flow with the addition of larvae in the the nauplius stage (I-II) and copepodites.

The testing evaluated three aspects: retention capacity of C. rogercresseyi larvae; estimation of the percentage of entry of larvae at different current speeds, and with fish to see the fixation of the copepodites that manage to pass through the fabric.

The study was carried out by the Austral University of Chile and found that the Garware fabric blocked 99.6 per cent of the larvae of Nauplii, and 99.7 per cent of the larvae of Copepoditos, so that they do not enter the cage.

In each case, the amount of water used was 340 liters with 3,700 larvae per test, a total of more than 133,800 larvae, where a flow of water was applied at current speeds of 0.5, 2 and 3.5 cm * s-1.

“The skirts for the prevention of infestation are a physical barrier that surrounds the fish tank cage, based on the X12 fabric that allows the water to flow, preventing the entry of lice. This allows 80 times more water flow than a common fabric for these purposes,” explained Marcos Jofré, business associate of Garware Technical Fibres.

“It is a non-pharmacological product, as part of the strategies to reduce the use of drugs, whose field experience shows a decrease in the frequency of baths of up to 50 per cent, with a reduction of lice of up to 60 per cent.”

PROJECT

Finnforel plans first rainbow trout selective breeding centre

Finland-based technology company

Finnforel Oy, which has become a leading ecological fish farm, has announced the next part of its growth phase involves new production facilities, as well as its first selective breeding centre for rainbow trout.

The company’s Varkaus plant’s production capacity will expand from one million to three million kilos, and will cover the entire fish farming process, from juvenile fish to consumer-ready products. The expansion work will cost Finnforel approximately 25 million euros (US $28.6 million), with construction beginning immediately.

Finnforel will also begin to export its fish products to the UK, Germany, and the Netherlands and simultaneously, will enter the design phase for various similar projects in Europe, Russian, and the Middle East.

A major part of the company’s growth plans includes an industrial-scale broodstock and fry production, suitable for recirculating aquaculture systems (RAS), located in Finland. Currently, a majority of eggs used in Finland fish farms are imported so additionally, the company will build a genetics and fry plant in Hollola. The 12-million-euro facility will have the capacity to produce eggs for six Finnforel gigafactor plants, worldwide.

An added advantage of this facility is, in co-operation with the Natural Resources Institute Finland, it will help secure the supply of fish eggs and fry in Finland, in the event of a crisis. “Since the early 1990s, Natural Resources Institute Finland has carried out pioneering research in rainbow trout genetics, breeding, and animal health,” said the Finnforel press release.

“Over the next decade, the mission of the Finnforel team is to bring Finnish genetics and fish farming know-how to the world. In the future, fish will be farmed where consumers are,” said Pekka Vijakainen, chairman of the board, and a founder of Finnforel Oy.

Test channel with Garware fabric inside to evaluate the permeability of the fabric cage, observing 99.6 per cent retention of larvae.
PHOTO: MOWI CHILE/GARWARE TECHNICAL FIBRES LTD.
PHOTO: FINNFOREL
OY

RESEARCH

Citric

acid and phytase supplementation on canola meal for rohu fingerlings

Positive interaction between citric acid (CA) and phytase (PH) could improve the growth performance of rohu (Labeo rohita) fingerlings.

A study conducted at the University of Agriculture, Faisalabad, Pakistan showed that supplementation of CA and PH in canola meal improved growth performance, nutrients digestibility, and body composition of the fish. The best performance was observed at the supplementation of 30 g/kg CA+1,000 FTU/kg PHY.

Maryam Iqbal et al. investigated the suitability of canola meal as a dietary protein source along with the combined effects of dietary CA and PHY supplementation on growth performance, nutrient digestibility, and body composition of the species.

“The dietary acidification stimulates the activity of digestive enzymes in fish gut and optimizes the digestion and utilization of nutrients and minerals. Additionally, acidification provides favourable environmental conditions for phytase to diminish the level of phytate in digesta, thus basically inhibits the formation of phytate-protein–mineral complexes,” the authors said in the study, “Combined effects of citric acid and phytase supplementation on growth performance, nutrient digestibility and body composition of Labeo rohita fingerlings”. It was published in Aquaculture Studies

Canola meal has high animal proteins and low anti-nutrient factors, making it a “promising alternative” to animal protein. The anti-nutrient factors, however, are seen as a drawback in researches for plant-based proteins inclusion in aquafeeds. Anti-nutrient factors may prevent absorption of nutrients.

Phytate has the tendency to build insoluble complexes with minerals, protein, carbohydrates, lipids, and vitamins in the guts of fish,

PRODUCTION

thereby making them unavailable to the fish, they explained.

During the 90-day study, fingerlings were hand-fed with assigned diets every day, once in the morning and once in the afternoon, at three per cent body weight. Spraying method was used for supplementation of phytase.

The best diet formulation, which was at 30 g/kg CA+1,000 FTU/kg PHY, performed significantly better compared to control, which didn’t have CA and PHY supplementation.

The three other diets had 15 g/kg CA +PHY 1,000 FTU/kg, 15 g/kg CA +PHY 2,000 FTU/ kg, and 130 g/kg CA +PHY 2,000 FTU/kg.

The best formulation’s percentage weight gain was almost 210 per cent, feed conversion ratio was 1.12 and specific growth rate, 3.06 per cent. Control’s was 70 per cent, 2.40, and 1.79 per cent, respectively.

Rohu, an Indian major carp species, is a major aquacultured fish in South Asia. It grows to an average of about half metre but adults can reach as much as two metres-long and 45 kg. – Ruby Gonzalez

Scottish Sea Farms to deliver first home-grown eggs

Scottish Sea Farms will be ready to deliver its first eggs bred from salmon grown at its marine farms, by early 2022. This milestone collaboration with breeding specialist, AquaGen, could future-proof farmed fish welfare in the face of climate change. Traditionally, salmon eggs are imported to Scotland and reared in its freshwater hatcheries before being transferred to marine farms for growing.

The fry are scheduled to be transferred to the company’s marine farms in Scotland’s west coast and Northern Isles by the first quarter of 2023. “We’re seeking to match the right stock to the right conditions, to maximize fish welfare. As climate conditions change, we’re acting now to help ensure future stocks can withstand those changes,” said Scottish Sea Farms head of Fish Welfare, Dr. Ralph Bickerdike. The company said it hopes to have robust genomic data as soon as three years from now but the timeline could be shortened further with knowledge exchange from other research projects in this area.

These include collaborations with the University of Aberdeen, BioMar, Marine Scotland Science, and the Sustainable Aquaculture Innovation Centre to increase understanding of how farmed salmon respond to various challenges.

The outer view of fish rearing tanks (A) and faeces collection tube (B).
PHOTO: MARYAM IQBAL ET AL., AQUACULTURE REPORTS
Tank Base of
Tank

Parental selection critical in European sea bass female-tomale ratio production

European sea bass parents that have been selectedforgrowthforthreegenerationsalso produced significantly more females than parentsofwildorigins,accordingtoastudyon factorsaffectingproductionofmorefemales

“Improved growth rate at the juvenile stage is key for sex determination, so that females that have been selected for growth for several generations produce individuals with highest growth rate that become females,” Dr. Benjamin Geffroy, researcher at MARBEC, Ifremer,told HatcheryInternational

Temperature is known to influence the sex of European sea bass as in other fish species. More males are produced at relatively high temperatures.

The current study, “Parental selection for growth and early-life low stocking density increase the female-to-male ratio in Euro-pean sea bass”, published in Scientiic Reports, provided the first-time evidence that environ-mental factors other than temperature can affect the sex of European sea bass. It inves-tigated the impact of growth and stress in the process, considering that temperature is

Vaccinated rainbow trout has limited survival improvement in reuse water: U.S. study

Exposure to reuse water or multi-pathogen challenge in rainbow trout ( Oncorhynchus mykis s) production can initiate complex disease dynamics that can overwhelm both vaccination and host genetic resistance, according to a collaborative project between researchers at the United States Department of Agriculture (USDA) Agricultural Research Service at Virginia Tech and the Virginia Institute of Marine Science.

Results from the 27-day experimental period showed that water reuse exposure, genetic line, vaccination, and the interaction between genetic line and water exposure affected survival. Compared to all other water sources, fish exposed to constant reuse water had 46- to 710-fold greater risk of death.

“Water is commonly reused multiple times in trout farming but the impact of this on fish disease resistance has not been studied. We used a unique experimental setup to replicate trout production conditions to test the effect of reuse water,” Dr. Gregory Wiens told Hatchery International . He is a research immunologist at the National Center for Cool and Cold Water Agriculture, USDA-Agricultural Research Service.

Either spring water or reuse water from raceways was piped to identical tanks housing

known to influence growth rate and cortisol production.

The experiment aimed at reducing stress and affecting early growth rate. Larvae and juvenile originating from both captive and wild parents were exposed to three different treatments –low stocking density, food supplemented with tryptophan, and a control. Tryptophan is an amino has been shown to modulate fish behaviour, stress responses, and antioxidant and immune systems.

The results provided only correlations between stress and sex at the group level.

“It is not clear if stress directly impacts the sex of sea bass, as demonstrated in some other fish species, where enhanced cortisol

two commercial lines of trout that had been either vaccinated against infectious hematopoietic necrosis virus or sham vaccinated.

Between the two genetic stocks of rainbow trout used, Clear Springs Food (CSF) and Troutex (Tx), the former might be more resilient to the harmful effects of reuse water. Tx fish had a 2.7-fold greater risk of death compared to CSF fish in constant reuse water. Risk of death did not differ in spring water, indicating that the effect was specific to the reuse water.

“The factors that affect rainbow trout survival in reuse water are complex,” he said. “The exposure of rainbow trout (size 11 to 13 to the pound) to reuse water was clearly detrimental and had a large effect in our study.”

IHNV or F. psychrophilum, major pathogens of farmed rainbow trout, were detected in

production drives the masculinization of those fish,” Geffroy explained. “Here we only detected some tendencies at the group level (in the hypothalamus).”

Overall, the study showed that fish kept at low density produced significantly more females than both control and fish fed tryptophan.

“In fact, we believe that being at low density might improve growth rate – possibly by diminishing stress. Then early growth rate was found to be key in explaining sex determination, with individuals displaying the highest energy level and growth rate developing as females. Those that do not grow quickly become males in this species with environmental sex determination,” he said.

More females are preferred in European sea bass production because these show much better growth rates than males. He explained weight dimorphism ranges from 70 per cent in the young stages to 30 per cent in two-year old fish. About 30 per cent of males mature early, which further reduces their growing potential. The study is supported by the European Union in the framework of the 3S project (Sea bass, Sex and Stress), which Geffroy coordinates.

– Ruby Gonzalez

about 40 per cent of the fish. These pathogens might have caused some of the mortality in the study. Presence of other factors or stressors in reuse water are also suspected.

Study data suggests that reuse water or multi-pathogen challenge can overwhelm immunity generated by vaccination.

“Vaccinated fish had limited survival improvement compared to sham-vaccinated fish in reuse water,” he said. “However, in our laboratory study conducted in spring water, vaccination was highly effective in both lines of fish against IHNV challenge. In contrast, when we co-infected with both F. psychrophilum and IHNV at the same time, we were able to cause high mortality in vaccinated fish.”

The CFS fish line is a result of selective breeding of rainbow trout for resistance to INHV has been implemented at CSF since 2000 as part of a multi-trait selection program.

The Tx line has undergone selection for a number of years in Denmark and consists of five mating groups with ongoing breeding objectives to increase growth, body shape and yield, and improved survivability under farm conditions.

The research article, “Aquaculture reuse water, genetic line and vaccination affect rainbow trout (Oncorhynchus mykiss) disease susceptibility,” was published on Frontiers on Immunology.

–Ruby Gonzalez

The hatchery room at Ifremer Palavas-les flots, France, where experiment treatments were tested. PHOTO: DR. BENJAMIN GEFFROY
Jeremy Everson, manuscript co-author, left, with a colleague. PHOTO: J. EVERSON ET AL.

Russian hatcheries expand recreational campaigns

A group of Russian hatcheries in the Sakhalin and Kamchatka have ramped up salmon (Salmo) broodstock production destined to be released in the coastal zone. Since 2020, Sakhalin hatcheries have released above one billion units of salmon fry per year, Russian government agency Glavrybvod, estimated.

The Far East is the only part of Russian where hatcheries operation is supported by fishermen. The reason is that their operation ensures growth in the fish population in the Russian coastal zones, since salmon grown at local hatcheries tend to return from the Pacific Ocean back to the Russian shores.

“The indispensable return of salmonids to spawn in their native reservoir is one of the unsolved mysteries of nature. There is still no consensus among zoological scientists around the world about how an adult salmon finds its way from the ocean to the river where it grew up for further reproduction,” said local analys, Anatoly Koshkin.

The practice of breeding salmon to support fishermen has been originally

introduced by Soviet scientists, and it has been gaining momentum in the past few years, bearing some fruits.

In 2021, the wild salmon catch in the Pacific waters of Russia exceeded the forecasted level by more than 11 per cent, reaching 511,000 tons, the press service of the Pacific branch

of the Russian Federal Research Institute of Fisheries and Oceanography (VNIRO) said.

There are currently five hatcheries in Sakhalin, and a dozen in mainland Russia focused on breeding salmon broodstock. Some forecasts envisaged that Russia could boost wild salmon catch to one million tons per year in the case that the salmon reproduction campaign is further expanded.

As explained by Koshkin, there are different versions to explain this phenomenon. For example, he said, American scientists are confident there is evidence that salmon use the memory of the Earth’s magnetic field at the point of exit into the ocean and therefore, find their way into the river where they grew up.

“Other zoological scientists argue that salmon keep track of the stars and the sun, and if the weather is cloudy, they are guided by the so-called internal compass. There is also an exotic suggestion that salmon use their sense of smell, in the same way as dogs,” he added.

However, Russian scientists and fishermen are certain that one way or another, this phenomenon is here to stay – there is no chance that one day, the salmon will change its behaviour.

– Vladislav Vorotnikov

Russian hatcheries expand salmon broodstock production to support fishermen.
PHOTO: ANGARSK GOVERNMENT

Nuclear plants in Russia and Ukraine keep breeding fish

Nuclear plants in post-Soviet space keep using fish in cooling ponds, expanding its number and range in order to maintain a sustainable operation.

Just recently, the management of the Khmelnytskyi nuclear plant in Ukraine announced plans to release 202,000 units of carp (Cyprinidae) fry in its cooling pond to reduce biological interference in the operation of circulation systems. The fish fights well against algae, phytoplankton, and mollusks, improving the water quality, the officials at the nuclear plant explained.

The cooling pond at nuclear plants is a technical reservoir designed for cooling water from the nuclear power plant. The pond’s heated water is used to cool the steam turbine equipment and pipelines of the nuclear plant’s secondary circuit.

passing phytoplankton through the gills, which is its main food. Crucian carp also have their own food base, part of which is small mollusks, crustaceans, and the like. All fish in the cooling pond work to improve water quality and, consequently, the safety of operating power units, Averina said.

In Russian, several nuclear plants also stock cooling ponds with fish. In 2020, the Balakovo plant released 1,238 carp fingerlings into its cooling pond.

Stocking of cooling ponds is a common practice for nuclear power plants in Russia. The pond’s warm water causes an intensive growth of algae and mollusks reproduction, which may disrupt the water intake pump operation, clogging the protective systems of the plant’s technical water supply. Most scientists believe the fish from nuclear plants are safe for consumption.

As explained by Svetlana Averina, the head of the biomelioration department at the Khmelnytskyi nuclear plant, the presence of fish in the reservoir is a technological necessity. Water for cooling heat exchange equipment must meet certain chemical and physical characteristics. Its optimal state can be maintained, along with other factors, by natural biomeliorators.

The grass carp can eat various algae and prevents the overgrowth of vegetation on the water surface. Silver carp can filter water,

There is no clarity whether the fish from the cooling ponds is safe for human consumption. In general, it is believed that this is the case. However, some Russian environmentalists warned over possible fish contamination with tritium - the most dangerous radionuclide for humans today – with a half-life of 12.3 years. – Vladislav Vorotnikov

More than 50 improvements

The Hydrotech Value drum filter series focuses on reduced maintenance, increased component quality and simplified operation – all to give your plant maximum filtration performance at a minimum operational cost.

Contact us!

Call +46 (0)40 42 95 30 or visit www.hydrotech.se

Nuclear plants breed more fish for their pools.
PHOTO: SAMARA OBLAST GOVERNMENT
Introducing the new HYDROTECH VALUE SERIES

Russia eyes launching accelerated hatcheries near Baikal

A group of researchers from the Siberian Branch of the Russian Academy of Sciences have designed a technology aimed at increasing the population of valuable fish species Baikal, in particular Arctic cisco (Coregonus autumnalis ) and common whitefish ( Coregonus clupeaformis).

The Russian scientists suggested using, for this purpose, another fish – tugun (Coregonus tugun). The idea is to transfer primary germ cells of valuable or endangered fish species into its body and then release it into Baikal. In this way, it would be possible to hatch omul or common whitefish much faster, the scientists said.

“In this case, offspring can be obtained in just a year. Accelerated selection is necessary because many fish species begin to spawn rather late. For example, the Baikal whitefish starts spawning only at the age of six,” the scientists explained.

The Russian Academy of Science has already created a special cryobank with the sex cells of omul, whitefish, and sturgeon (Acipenser). Now specialists are waiting for a decision on their application for a government grant to develop their technology further. If successful,

the new technology could be employed by local hatcheries, which are struggling to restore the whitefish population in the region, making their operation “accelerated.”

“Now experiments on cryopreservation of germ cells are underway. Special kits have been purchased to label these cells before transplantation. And even a tugun, ready to become a surrogate mother for other fish species, has already been raised,” said Lyubov Sukhanova, senior researcher of the group of evolutionary genetics in the Siberian branch of the Russian Academy of Science.

In addition, Russian scientists study the hybridization of the local fish. They create hybrids that may never have existed in nature.

For example, they crossed the Baikal omul with a peled (Coregonus peled), trying to get a hybrid with a better survival ability.

“First-generation hybrids take the best from their parents. These artificial fish are less whimsical than the omul to the conditions of an artificially created habitat. They grow faster than the peled and are omnivores, like it. We will also compare with the originals in many ways,” added Sukhanova.

During the past several years, the Russian authorities put a lot of effort into modernizing and expanding hatcheries near Baikal. For example, according to the Russian federal agency for fisheries Rosrybolovstvo, the production of omul broodstock for Baikal raised from 55 million units in 2017, to 71 million in 2018, 450 million in 2019, 520 million in 2020, and one billion in 2021. Fish population in the world’s largest and deepest lake has been hampered during the past few decades by poaching and poor ecological conditions. Over the past few years, around 800,000 tons of garbage ended up in the lake every year, not including wastewater and petrochemicals, local environmentalists estimated. This has dramatically reduced the population of some fish species in the lake. – Vladislav Vorotnikov

Russia to launch superhatcheries.
PHOTO: SAMARA REGION GOVERNMENT

Paving the way to a better future

Hatchery sets new broodstock production records with the goal to make positive change

One of the largest hatcheries in Siberia, Abalakskiy, has been setting new records of broodstock production, targeting to improve the ecological situation in this part of Russia and facilitate the beginning of a new era of the country’s aquaculture.

Abalakskiy traces its roots back to Soviet times. The first batch of sturgeon fingerlings was released in the rivers of the Tyumen region in 1975, said Vitaly Baranov, director of the Nizhniy-Obskiy branch of the Russian government agency Glavrybvod, which manages Abalakskiy, today.

At that time, Abalakskiy was a research and development (R&D) unit of the Soviet fish farming industry. To some extent, this feature has been preserved until today, as the facility still holds a status of an experimental hatchery, being engaged in various researches, the goal of which is to learn the strings of growing broodstock more smoothly and cost-effectively.

“During the scientific times, the hatchery released one million units of Siberian sturgeon (Acipenser baeri) broodstock up to three grams, and 400,000 units of starlet broodstock, also up to three grams, operating fully under a government contract,” Baranov

said, and added that this year Abalakskiy already released 6,977,000 units of sturgeon broodstock, which is likely to be the highest level ever achieved by any Siberian hatchery.

The eventual target, however, is to push the annual broodstock production to nine million tons per year, Baranov said.

The broodstock weight ranges between three and 10 grams, Baranov estimated. The production has been steadily growing during the past few years.

“The main purpose of Glavrybvod is to restore hampered fish populations back to the conditions large enough to resume fishing. We work with the Siberian sturgeon because it is enlisted in the Russian Red Book of endangered species,” Baranov said. “If our production will remain at the current level, we expect sturgeon to regain commercial value by 2030."

Breeding side

There are indirect signs that the efforts put by Glavrybvod in Siberia already bear some fruits. As estimated by Baranov, this year, Abalakskiy caught two tons of wild sturgeon for further reproduction purposes. This is higher than in the previous years and shows that the recreational campaign of the past few years was not in vain.

“Together with the Russian Scientific and Education Ministry, we established a genetic base of all breeding stock, including of wild fish. We are sampling genetic material and building a genetic tree. When we catch wild fish, we take a small part of the back fin to study it in our laboratory in order to see whether this is a hatchery-born or wild fish. In 2020, every third fish was hatchery-born,” Baranov said.

“We are the first in the world to introduce this practice [of genetic tracing wild fish origin], and this is the best sign of our effectiveness we could possibly obtain,” he added.

According to Baranov, this pilot project is now expected to be scaled up and expanded to other Russian regions, other hatcheries, and other fish species.

Combined method

Abalakskiy breeds fish in so-called industrial methods – in pools – and in grow-out ponds, which together, in Russia, is known as a combined method of hatchery operation. Every segment requires different approaches.

“When growing broodstock in grow-out ponds, we first assess the soil fertility ratio. This is crucial because we need soil and water to have certain mineral and chemical compositions, which directly affect the state of hydrobiota. When establishing new ponds, we also run hydrobiological studies to gain an understanding of the conditions of hydrobionts: zooplankton, phytoplankton, and so on, which serve as a feedstuff for our broodstock,” Baranov said.

According to Baranov, using certain algae and fertilizers, these parameters could be altered in order to intensify broodstock reproduction.

“The basis of our operation is state-ofthe-art equipment – spectrophotometers we purchased in the U.S., with which we take up to 20 samples per day, checking water conditions on a broad range on various parameters,” Baranov said.

As for the industrial segment, Baranov said Abalakskiy is engaged in various experiments, including those aimed to discover the best aquafeed composition.

“We try different feed, including some European stuff, combining it with live feed, like brine shrimp, to achieve the best growth rates, conversion rates, and so on,” Baranov said.

Abalakskiy also employs caviar filtration technology. As explained by Baranov, there is a common problem that dead caviar in the hatchery infects live eggs, which eventually lowers the hatching success rate. The filtration technology pushes the survival rate above that of which the other Russian hatcheries manage to achieve.

Industrial giants help with funding

A few years ago, the Russian government obliged industrial enterprises with a substantial footprint to participate in recreational campaigns, including by restoring the fish population.

According to Baranov, in addition to oil and gas companies, there is a long list of industries that fell under the new rules including metal

producers, coal mines, and other companies using subsoil resources.

“This is a very good approach. By funding our recreational program, they invest money in our new technologies, providing us with most modern technologies, with which we can further enhance broodstock industry development,” Baranov said.

Aquaculture’s on the pipeline

The Nizhniy-Obskiy branch currently runs three hatcheries, breeding not only sturgeon but also peled (Coregonus peled), muksun (Coregonus muksun), carp (Cyprinus carpio), and some other fish species for the needs of fish farmers.

“We are not selling fish species listed in the Red Book, among other things, because they

are not hybrids. As these species grow rather slowly, they are not of great interest to fish farmers,” Baranov said.

However, in general, Russian hatcheries including Abalakskiy, are expected to take advantage of the ongoing aquaculture development in the country.

“I forecast that aquaculture is the future of the fish industry. This industry will overtake wild fish catching in terms of output at some point since wild fish reserves tend to shrink due to the anthropogenic burden, while fish farming will only grow in the coming years. We have excellent water reserves and land reserves to fuel that growth,” Baranov said.

In terms of aquaculture, Russia has a similar growth potential as neighbour China, where fish farmers produce around two million tons of fish per year.

“It is essential that we have already begun developing our own competencies in this field to lay down the foundation of the future growth. Successful aquaculture begins with a strong fish fry. If we manage to grow a healthy broodstock, we can be sure it will evolve into fish of the commercial value,” Baranov said.

The next stage of the Abalakskiy development is selling caviar on the open market, as soon as the situation with the sturgeon population is improved and a surplus of this product is available. There is also an option of growing fish to the commercial size, but time will tell which of the numerous opportunities Abalakskiy would opt for in the coming years.

Aqua Pressure Vessel

What to expect when upgrading

A

hatchery upgrade is a project in itself, and there are important factors to keep in mind throughout the entire process. By

Catarina Muia

Throughout the years, the hatchery and aquaculture industries have seen an evolution of technology, systems, and solutions that look to constantly lower production and operational costs; provide production, operational, and energy efficiency; and provide optimal environments for various fish species.

However, implementing these modern technologies and systems into hatcheries and businesses, which some date back to the early 1980s, can take years of planning, time to execute construction and proper staff training, and does not come at a cheap price.

During the fourth and final webinar in Hatchery International’s 2021 Webinar Series, sponsored by OxyGuard International, Andrew Hron, NP operations supervisor of Fisheries for the Wisconsin Department of Natural Resources, spoke about his and his team’s experience during a Wisconsin hatchery’s full renovation and upgrade project.

A brand new hatchery

Dating back to the 1980s, the Kettle Moraine Spring (KMS) State Fish Hatchery was in need of some new bones when the decision was made to renovate and upgrade the hatchery in 2014. “Instead of remodelling the old one, we built the new hatchery from scratch, right on the grounds,” Hron revealed, explaining that the initial decision to renovate was made in part, due to the aging infrastructure. “We would have raceways that were collapsing because there were sinkholes right under them, created by leaking pipes.” The second factor had to do with the old hatchery’s dependence

on spring water, which was constantly fluctuating. “I wasn’t able to commit to a quota of raised fish because we needed so many gallons of water for the specific weight of fish we planned on rearing.”

Construction began in 2019 and by early 2021, was near completion. The new hatchery includes partial reuse aquaculture systems (PRAS) and recirculating aquaculture systems (RAS), which include new biofilters, moving bed biofilm reactors (MBBR), pump degassers, low head oxygenators (LHOs), drum filters, and ultraviolet lights. Additionally, the hatchery is now equipped with automatic feeders, as well as monitoring equipment to measure water pH and temperature. “Now, every tank has that equipment, which means we will know exactly what’s going on and where, as opposed to how things were at the old hatchery. Everything is at our fingertips now.”

Unexpected challenges

With any new technology, system, or equipment comes the need for proper training to ensure a safe and efficient work environment. Ensuring his staff was properly trained was high on Hron’s priority list, and while he thought he was well prepared, training ended up being one of Hron’s biggest challenges in the hatchery upgrade.

Upon hearing the renovation was a go, Hron began to work with The Conservation Fund Freshwater Institute (FI) to get staff comfortable with the new systems and equipment. “FI came up to Wisconsin and gave us their recirculation training class, which was great. I sent 100 per cent of my staff to the

LONG-LASTING AQUACULTURE PUMPS

training,” Hron recalled. “Our hatchery staff learned a lot. However, that took place years before we even broke ground.”

By the time construction was completed in 2021, Hron’s staff was completely new and therefore, none of his team had been officially trained on the new equipment. However, during the design process, Hron had asked contractors to train his staff at the time and record the sessions, so he could go back and watch the footage again. “If I had to go back and do it all again, I’d definitely ask those contractors to record themselves using the equipment again, because the recordings worked quite well in training our new staff.”

Hron and his team still have some kinks to work out though, as he and his team are still facing some challenges today and trying to overcome parts of the upgrade that didn’t work quite the way they had thought they would. “Overall, the process definitely hasn’t been cheap, but it will pay for itself in the long run. Not only in your pocketbook, but it will also give you peace of mind, knowing that if something goes wrong, at least there is an alarm that will go off to alert staff, or a backup pump will turn on automatically,” said Hron. “Yes there will be some headaches with new technology, but I don’t think there’s anything out there that you really can’t overcome.”

Be sure to watch the full ‘Upgrading Your Hatchery’ webinar, where Hron discusses challenges he and his team faced during the hatchery renovations, lessons he learned, and how the hatchery is continuing to benefit, post-upgrade, at www.hatcheryinternational. com/webinars/.

Researchers study lake whitefish rearing

Researchers at the University of Guelph in Ontario conduct studies to explore the feasibility of rearing lake whitefish for commercial farms

The lake whitefish (Coregonus clupeaformis) has long been a popular North American food fish. Traditionally a large fishery was maintained in the Great Lakes, but stocks have been seriously depleted from habitat destruction, overfishing and, most recently, competition from invasive species. With a well-established market and a good value there is much interest from the established aquaculture industry and indigenous fish farms around the Great Lakes, to start farming lake whitefish as a commercial aquaculture species.

Researchers at The Ontario Aquaculture Research Centre (OARC) at the University of Guelph in Guelph, Ont., Canada received funding for a pilot study at the OARC to study the feasibility of rearing whitefish. OARC Station manager Marica Chiasson who is heading up the project, observed, “there has been a lot of interest in lake whitefish culture from two sectors: established net-pen operators are looking to diversify into new species and see lake whitefish as a good option, and from potential recirculation aquaculture system (RAS) operators who see lake whitefish as a species with good potential for land-based grow out.”

Partnership with New North Fisheries

OARC started working with lake whitefish in 2016 in partnership with New North Fisheries, North America’s only lake whitefish farm, as well as Collège Boréal in Sudbury, Ont., Canada. New North Fisheries was looking for

help rearing their fry and the OARC provided them rearing space in a registered quarantine facility. Wild lake whitefish eggs were collected by New North Fisheries from the commercial fishery, then transported to Collège Boréal for incubation. Fry were transferred to the OARC for early rearing before being transported to New North Fisheries’ net-pen on Manitoulin Island at five grams. The whitefish performed well at the OARC showing good survival and growth, allowing the partnership with New North Fisheries and Collège Boréal to continue.

Feasibility

study

OARC’s partnership with New North Fisheries provided the basis for their overall feasibility study. Each year, fry are reared in the OARC

RAS at 15 C, allowing the whitefish to feed readily and grow quickly. Growth is significantly reduced when fish are put into the station flowthrough system with a natural temperature of 8 C to 9 C. “We continue to get better with early rearing and husbandry with each year class we work with. While similar to trout, the whitefish fry are much smaller and need small feed that requires great care,” said Chiasson.

From the fry they receive each year, OARC staff retain a group of fish to use as captive brood, the beginnings of a domestication line. Retained whitefish are kept in the RAS at 15 C until space constraints force them into the much larger, but cooler, flow-through system. These fish provide the subjects for developing protocols and methods for husbandry for all life stages, and allows OARC staff to perform specific research. “We keep the density at 15kg/ m3. When the density approaches 30kg/m3, the fish start to show signs of stress.” As lake whitefish do not handle very well, normal husbandry events such as moving and weight sampling cause significant scale and mucous loss. “Whenever we perform husbandry events, we make sure to keep the density low and the fish loads small,” remarked Chiasson, “survival is very good as long as they are handled carefully.”

Diet study

With only one commercial lake whitefish farm in operation, there is no species-specific diet available for whitefish. “No feed company is going to create a feed line when there are no farmers to sell to. Lake whitefish are salmonids, so we started to feed them a rainbow trout (Oncorhynchus Mykiss) diet, as the metabolic needs are similar,” said Chiasson. Because of the uncertainty with their exact dietary needs, OARC decided to undertake a feed/growth study to compare the performance of three different diets, each with a different fat/protein ratio. Two trout diets and a tilapia diet were fed to four replicates over 140 days. Average weight and length/width assessment occurred every four weeks. A subset of fish from each replicate were sacrificed for visceral fat and liver analysis. “We found lots of visceral fat in all the groups we sampled; each diet provided the fish with an adequate amount of energy for good growth. All groups increased their weight by 100 per cent. The midrange trout diet showed the best weight gain, but it was not significantly better than the high protein trout diet,” Chiasson reported. The tilapia diet produced good growth but was significantly behind the trout diets for growth.

Breeding

One of the most challenging aspects of mapping the culture methods for any species

Lake whitefish populations in the Great Lakes have depleted over time due to habitat destruction, overfishing, and invasive species.
PHOTOS: RON HILL

PIT TAGS & SCANNERS

is closing the cycle by holding brood and producing viable offspring. OARC currently has three year classes of lake whitefish brood at the facility. Lake whitefish are iteroparous and can be spawned in multiple years. At the OARC facility, males tend to mature (mostly) in their fourth year, while females tend to mature (mostly) in their fifth year. Brood are kept outside in flow-through raceways receiving the natural photoperiod. However, “the biggest challenge with the brood is getting the males and females to line up,” said Chiasson. Despite both sexes residing together and receiving the same cues and photoperiod, the males and females are out of sync. “The males are maturing a month before the females are ripe which is causing us to miss our window, causing our own egg production to be inconsistent thus far.”

Instead of relying on photoperiod, OARC will be trying more modern methods to force the male and female gametes to line up. “For our next brood group, we will be doing a study where we administer Ovaplant ahead of time to induce spawning in females and compare that to an untreated group. Hopefully, this will give us viable gametes from both sexes at the right time.” Ovaplant is a time-released solid pellet or liquid spawning inducer containing salmon Gonadotropin – releasing hormone analogue (sGnRHa) that is injected into the fish. It is commonly used by brood sites to advance and synchronize spawning dates of females and increase milt production in males.

Future studies

OARC staff have much more planned for the lake whitefish. The next phase to refine their diet is custom diet trials. Researchers at University of Guelph are formulating their own diets with custom fat/protein ratios to test at the OARC, as well as insect meal diets. University of Guelph is fortunate to have a feed extruder and will be creating the diet formulations and then extruding the pellets for use with the lake whitefish to test different ratios and ingredients. Several other studies are in the works for the species including temperature studies to determine the best range for rearing at each life stage.

Staff will continue to develop the brood strain while they work on methods and protocols to rear lake whitefish. Through their own studies and their continued partnership with New North Fisheries, OARC continues to support the rise of lake whitefish culture. “There is a lot to learn and study but I think there is exciting potential for whitefish as a commercial species,” said Chiasson. Early results with fry, using the RAS, and the success New North Fisheries is having with grow out suggests whitefish will be a viable commercial species in the future.

The alligator gar species dates back to approximately 215 million years ago.

Protecting a prehistoric creature

Texas

fishery studies species that lived amongst dinosaurs

There is no way an alligator gar could win a beauty contest; but they could earn a gold trophy for s urvival. Ancestral fossils have been found dating back approximately 215 million years ago. Scientists in Texas are delving into the mysteries surrounding these massive fish and ways to ensure their survival.

One question looms large: How did they survive and the dinosaurs didn’t? Daniel Daughtery with Texas Parks and Wildlife’s Heart of the Hills Fisheries Science Center in Mountain Home, might have an answer.

Survival of the fittest?

“No one can say for sure, but living in water likely was advantageous at the time,” Daughtery started, who had a personal reason for studying alligator gar. “I have a keen interest in charismatic megafauna and have previously worked with sturgeons, which have a similar life history. Professionally, we were charged with understanding the species’ status and providing recommendations for management in Texas.”

Scientists began to discover a noticeable population decline in the last 20 to 30 years. It was likely occurring long before this, but little attention was given to the species then.

“We started work on alligator gar in Texas around 2008,” he said. “This research began in response to growing popularity in hook-and-line and bow fishing for the species, as well as growing interest in the conservation of native fishes and greater understanding of the importance on apex predators in aquatic ecosystems.”

There are many scientists involved in the work in Texas, and across their native range

The perspectives on these ancient holdovers from the age of the dinosaurs have changed, he said. Gars have long been viewed by anglers and managers as harmful to game fishes and recreational angling. Most investigations of these ancient, piscivorous predators have centered on their dietary habits, not their broader ecological role in aquatic communities.

Most management has involved eradicating these fishes rather than using them constructively. It is suggested that managers should view gars not merely as nuisances to be destroyed, but as contributors to ecosystem stability and function, to balance predators and prey, and for more successful angling in the long term.

A crucial, but declining population

Alligator gar (Atractosteus spatula) has experienced declines in abundance and reductions in its distribution. Once abundant throughout the middle and lower Mississippi River drainage and Gulf Coast rivers from Florida to northern Mexico, they're now considered rare or extirpated from the northern half of its range.

Historically, both anglers and fisheries managers considered the alligator gar a detriment to game fish populations, resulting in long-term eradication efforts in many systems. Modified flow regimes resulting from the damming of rivers exacerbated the effects of chronic mismanagement by reducing the availability and frequency of floodplain spawning habitats. The resulting population declines, coupled with a general lack of scientific data on the alligator gar, led to the recent designation of the remaining populations as “vulnerable” by the American Fisheries Society. Studies to better understand alligator gar biology and ecology have been conducted in many river–reservoir systems in recent years.

“The alligator gar has also been found in estuarine and marine environments,” Daughtery said. “Knowledge of alligator gars in saltwater habitats is generally limited to anecdotal accounts and laboratory-based physiological studies. A 2008 study noted that alligator gars have a great tolerance for salt water but little is known of their marine environments habits. An earlier study considered alligator gars a common inhabitant of brackish waters in Louisiana and reported collecting several specimens from the marine waters of the Gulf

PHOTO: HEART OF THE HILLS FISHERIES SCIENCE CENTER/TEXAS PARKS AND WILDLIFE

of Mexico. Reports show that larval alligator gars tolerated salinities up to seven per cent; a potential for reproduction in estuarine environments. Recent studies of alligator gar movements in Texas coastal river systems have documented extensive movement between riverine and estuarine habitats.”

Collectively, these studies suggest that alligator gars of various life history stages occupy a wide range of estuarine and marine habitats. However, no studies have quantitatively investigated the proclivity of the species to use these environments or the factors that influence their use. Coastal habitats have been largely overlooked in the management of alligator gar populations in Gulf Coast rivers, and the species has generally been ignored in the management of coastal communities. Understanding the abundance and spatiotemporal distribution of alligator gars in saltwater environments would provide insights into the importance of coastal habitats to Gulf Coast riverine stocks and of the species in estuarine and marine ecosystems.

“We used weighted-effort, multifilament experimental gill nets (61 m in length and 3 m in depth) to collect alligator gar throughout the lower Trinity River in 2015 and 2016 in low-velocity habitat,” Daughtery continued.

In the lower Trinity River and Trinity-Galveston Bay system, Daughtery’s team objectives were first, to utilize otolith (each of three small oval calcareous bodies in the inner ear of vertebrates, involved in sensing gravity and movement) to infer movements between the river and bay among fish collected throughout the system. Second, was to identify factors that influence movement. Results of this study, along with those of previous works, will provide further guidance on the appropriate scale of management for alligator gar in the lower Trinity and other Gulf Coast river systems.

Facts on this ferocious-looking fish

Alligator gar are the largest growing animal within their species, growing up to eight feet and weighing up to 300 lbs. Younger alligator gar have two rows of teeth on both sides of their upper jaw, which sets them apart from other gar species. They can also be distinguished by their dorsal and anal fins on the back of their body. Some believe gar meat is tasty, but their caviar eggs are toxic.

Some may wonder: do gar have predators?

“As adults, their predator is man, and as youngsters, other alligator gar; they can be highly cannibalistic,” Daughtery said.

Research the fishery

“Mostly our work focused on understanding the life history and ecology of these ancient

fish,” said scientist, David Buckmeier. “They reproduce infrequently (tied very close with large flood pulses in large river systems). Although they live more than 50 years, populations are often dominated by only three- to four-year classes.”

While they are capable of long-distance movements, they often exhibit very high site fidelity returning to the same pool within a river. Scientists also conducted a lot of work validating age estimates as these are critical to understanding the species’ life history. Alligator gar can grow very quickly, attaining

FISHING FOR ALLIGATOR GAR

lengths of 500 mm to 750 mm in the first year.

In the tanks, scientists use them for a variety of things from research experiments to simply holding forage and research fish for processing/data collection.

“While many populations have declined, they are not endangered,” he said. “In Texas, strong populations remain. Commercial fishing is not a threat if regulations are followed. Unfortunately, this is not the case in other parts of their range. Mostly, habitat loss and loss of access to floodplain habitats have caused declines.”

Alligator gar have been around for 215 million years, have survived countless world changes, and still hold a fascination for anglers.

“They are tough fish, built for survival,” said Shawna Stowers, customer success manager for Captain Experiences, in Austin, Texas. “Their slow maturing and reproductive rate might be a reason for the longevity.”

In more recent history, alligator gar populations greatly declined, mostly due to popular opinion that they were ‘trash fish’ or a ‘nuisance’. This lead many state authorities to focus on eliminating them to protect game fish because many people believed they were dangerous simply due to their name and appearance.

Knowledge of alligator gar as a species has grown greatly in recent years and restoration and conservation groups in many states, with the assistance of state wildlife departments, have helped to reverse the impact on the species.

“There are a lot of reasons people are interested in fishing for alligator gar,” she said. “They really are dinosaurs in their own right, with a rich history, and are actually one of the oldest and largest freshwater species in Texas, making them quite a ‘bucket list’ fish.”

There are also many different ways to fish for them, including top water, live bait, bow fishing, and even fly fishing. They also are good table fare, and used to be fished commercially in the southeastern areas of the states, although releasing them is recommended today.

It is important for both the fisherman and the fish to keep it on its stomach when out of the water, and avoid its tail and mouth to refrain from hurting the fisherman or the fish.

Artemia vs. microdiets in early weaning in European sea bass larvae

The live feed still has the significant edge, but MD development is improving. By

Astudy in Germany has demonstrated that live feed still trumps microparticulate diets (MDs) in early weaning in European sea bass (Dicentrarchus labrax) larvae. But it also showed that MD development has been improving.

Jan Giebichenstein et al., in an article in Aquaculture Research, compared the performance of four state-of-the-art commercially available MDs used in an early weaning protocol, to the standard Artemia -based feeding. The study primarily sought to significantly reduce the live feed period without compromising lower survival or deformities. It was conducted at the Gesellschaft für Marine Aquakultur (GMA) in Büsum, Germany. Since it is very labour-intensive, production of live feed, including algae, in hatcheries represent up to 70 per cent of costs. Early weaning on MDs could reduce costs in both feeds and labour, significantly.

Larvae were kept in darkness for the initial seven days. From eight to 20 days post-hatching (dph), Artemia nauplii were fed to all treatments. To increase turbidity, microalgae were added from eight to 16 dph. Co-feeding with MDs began in the micro-diet treatments at 16

exclusively fed with dry feed and the control group was fed with enriched Artemia until the termination of the experiment at 50 dph.

Performance

The control group had the lowest abundance of deformities, most continuous growth, and result in best larval quality. Per the study protocols, MDs used “cannot be recommended for industrial use,” it was cited, because of lower survival, reduced growth and increase in deformities of the larvae. One MD, however, was not totally counted out. It achieved the lowest amount of deformities and also the best and most uniform growth pattern among the four MD treatments.

This showed that “MD development has been improving and might, in the very close future, be able to replace the live prey phase at least partly. Important to note is that most deformities found in the MD4 group did not affect the larval shape and thereby, have a minor or no impact on the larval fitness,” the authors said. “We assume that minor deformities can improve over time, given optimal rearing conditions and feed nutrition in later rearing stages.”

There are several factors to consider in

impact in larva. “MDs can be considered as a high-tech product and do not have much in common with pelleted fish feed,” Giebichenstein told Hatchery International.

“According to the manufacturer’s declaration, all used diets are quite similar concerning macronutrients. Thus, micronutrients like vitamins, trace elements, or antioxidants can significantly improve the product. Production processes can also play a major role with regard to distribution of all materials in every particle of the feed. For instance, if the feed is made from crumbles or are the MDs produced encapsulated.”

Stressing the importance of technical quality of MD, he explained that leaching of water-soluble substances, such as hydrolyzed proteins and vitamins, deteriorate the quality of an MD very quickly when administrated into the tanks.

Buoyancy must also be considered. It is better if the particle remains for a while in the water columns. If it sinks quickly to the bottom, larvae do not accept it further as feed.

“Encapsulated MDs, e.g. encapsulated with alginates, may have an advantage here. Nevertheless, they should allow some leaching to release some amino acids, which function as attractant to the fish larvae. The movement pattern of live feed is missing with MDs, thus there must be another trigger to raise the attention of the fish larvae,” said Giebichenstein.

Co-feeding

The study’s general goal was to wean much earlier compared to present routines. Weaning larvae from live feeds depends on MD quality, water temperature, and species. “In the close future, we will certainly see significant improvements concerning the point in time when MDs are introduced in the feeding protocol of marine larvae. And this is a necessary process, since Artemia cysts are quite variable in quality and are a limited resource; if we want to produce more marine fish for the table, we need to find a replacement of Artemia nauplii in marine larval feeding.” And not to forget the costs and effort for enrichment of the nauplii.

In the applied experiment, weaning sea bass larvae on MD at around day 30 could have reduced mortality but would have also required a longer co-feeding period. Consequentially, this could have increased the performance in all treatments. But this was not in the focus of these experiments. Selection among the current commercially available MDs are primarily driven by diet quality and price. Depending on egg and larval supply, effect on survival may be just secondary. This may be the case in commercial species like sea bream and sea bass, Giebichenstein said, where the occurrence of deformities

and the manual sorting is an expensive and labour-intensive process that can strongly add to the production cost of a hatchery.

If there is one thing that is not being considered often enough, it is feeding technology. (See sidebar.) “Application of live feed is quite different from applying MDs,” he said. Live feed is provided three or four times daily. Feeding schedules using MDs is exponentially much more. “MDs must be provided much more frequent, up to 10 times an hour, but in rather small doses in order to always offer some feed particles in the water column. Most hatcheries do not yet have the technology to feed MDs properly for early larval stages, which often ends up in a failure concerning the expectations coming in trials with MDs. With this, he said that proper feeding technology is very integral to early weaning. Since MDs, and artificial feed in general produce more debris in the tanks, new and innovative technologies are needed for the daily cleaning of tank walls and bottoms. He said, “With the more frequent introduction of MDs at earlier stages we will certainly see innovations in automatic tank cleaning systems.”

HIGH-TECH ADMINISTRATION OF MICRODIETS

Feeding technology in combination with the administration of microdiets has a high significance and is the major background for success or failure. “The success of feeding protocols in the rearing of marine fish larvae, including microdiets, requires proper feeding technology,” said Dr. Bernd Ueberschär, team leader, fish larval research at GMA and experiment supervisor.

The experiments used the most up-todate micro computer-controlled hatchery feeding system from NutraKol, an Australian company. It can deliver very small doses (minimum 20 µg) of micro-diets and weaning diets in customized frequency and is ideal for maintaining constant levels of MDs in the larvae tanks. This is an important requirement for the success of microdiet feeding in early weaning protocols.

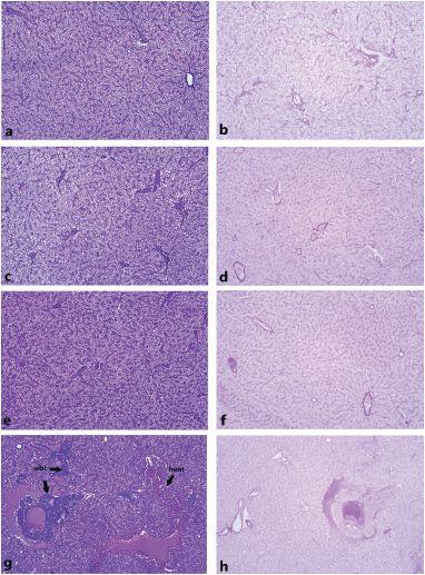
Excessive chitin in black soldier fly prepupae causes liver damage in largemouth bass juvenile

Full-fat black soldier fly prepupae (BSFP) supplementation in soybean meal lagged behind the performance of diet with defatted black soldier fly larvae (BSFL).

BSFP supplementation significantly decreased feed intake, reduced intestinal villi length and caused some liver inflammation in the animal. Fish on diet with BSFL didn’t cause adverse pathologies in the livers.

Excessive chitin content in BSFP could most likely be the factor here, according to the study conducted in the U.S. A naturally occurring biopolymer, chitin is a crucial component of the exoskeleton of insects and anthropods. There are indications chitin being a non-digestible fibre that negatively influences the digestibility of proteins and lipids.

The study compared growth performance, health indicators, antioxidant capacity, and hispathology in M. salmoides juveniles fed fishmeal control diet (D1), soybean mealbased diet (D2), or soybean meal-based diets that contained supplementations of either BSFL (D3) or BSFP (D4). The eight-week feeding trial is understood to be the first study comparing BSFL and BSFP in aquafeeds.

Fish survival remained high across all treatments at 95.5 to 100 per cent. There was a significant decrease in final weight. D1 has the highest and it decreased progressively in D2, D3, and D4. The FCR, which was significantly higher at D3 compared to D1, was significantly highest in D4. Feed intake was significantly lower in D4 compared to fish fed D1 or D2. There was no significant effect of condition factor among treatments.

In general, “the results of this study indicate that while BSFP could cause harm to M. salmoides , they are not especially sensitive to dietary soybean meal,” Hayden Fischer et al. said in the article published in Aquaculture

BSF is considered as a good alternative to fish meal in fish diet but previous studies indicate that positive effects on performance parameters are species-specific.

BSFL and BSFP were produced in the same batch and fed the same diet, a blend of spent coffee grounds and pizza dough at a ratio of 1:1. As a novel and sustainable ingredient in the diets of aquatic animals, BSF can be produced on food waste and

Liver histopathology of largemouth bass, Micropterus salmoides, juveniles fed the control fishmeal-based diet (a, b), soybean meal (SBM)-based diet (c, d), SBM-based diet with black solider fly larvae (e, f) or SBM-based diet with black solider fly prepupae (g, h).

PHOTO CREDIT: HAYDEN FISCHER ET AL., AQUACULTURE

“BSF is considered a good alternative to fish meal in fish diet but studies indicate that positive effects on performance parameters are species-specific.”

other materials that are unsuitable for human consumption.

Indications that chitin was likely the major contributor to reducing growth/feed intake in the D4 group were based on the histopathological changes. Severe lesions in the livers were observed in a third of the animals in D4. “It is unlikely these changes were due to post-mortem handling issues, based on the liver damage occurring within the liver (and not periphery where excessive handling could occur), while all samples were quickly processed and embedded within three days of dissection. Moreover, the D3 diets which would have had less chitin, led to no adverse pathologies in the livers,” the authors said.

-Ruby Gonzalez

Micro computer-controlled hatchery feeding system at the experimental facility.
PHOTO: DR. BERND UEBERSCHÄR/BIOSERVE

Oxygen generators day-to-day

Aside from providing water to the fish, there is nothing so vital as the supply of oxygen. Oxygen loss or failure can devastate a farm, which is why modern farmers have very tight and well-maintained oxygen systems with redundancy built in for protection against failure. Onsite oxygen generation systems have become a popular choice for many operations, especially remote sites. Maintaining the generating units is one of the most important tasks onsite, given their vital nature. Being proactive by having a good monitoring program and having vital spare parts on hand is the best way to minimize both downtime and maintenance costs.

PSA-style gas generators

Pressure swing adsorption (PSA) -style oxygen generators are the

industry standard for self oxygen supply. These units operate on the knowledge that air is composed of 78 per cent nitrogen, 21 per cent oxygen, and one per cent other gases. PSA is a process whereby compressed air is passed through a molecular sieve which adsorbs the nitrogen from the air, pulling it out of the air mixture.

The air mixture that passes through the sieve is almost pure oxygen. The sieve can only adsorb so much nitrogen, thus, when the sieve is ‘full’ of nitrogen, the valves close to shut off the flow of air, and the chamber de-pressurized, allowing the nitrogen to escape the sieve and be released by the unit. PSA generators are built with two separate PSA systems in each, so a constant flow of oxygen can be maintained: one side is providing oxygen while the other is emptying its sieve.

“Maintaining the generating units is one of the most important tasks onsite, given their vital nature.

Being

proactive and having vital spare parts on hand is the best way to minimze downtime.”

Oxygen, oil and spontaneous combustion

One would be remiss not to mention the potential danger of exposing hydrocarbons like grease and oil, to pressurized oxygen. Pressurized oxygen will ignite grease and oil spontaneously, without an ignition source. There must never be any oil or grease found around or on an oxygen generator. The room where the unit is stored can have no oil or grease on the floor or walls. A loose fitting or a pin hole leak becomes an extreme human safety risk if exposed to oil. Any fittings and tools used on the oxygen system should always be wiped clean before starting. Aquaculture novices rarely have much experience with compressed gases or oxygen generators, and should be made very aware of this safety concern immediately upon hiring.

Monitoring an oxygen generator

There are many brands, styles, and sizes of PSA-style gas generators, as there are many applications in and out of aquaculture. Each day at the same time, purity, pressure, and flow should all be checked and recorded. Any deviation of these values requires follow up. Purity issues or deviations should be looked at very carefully and should suggest to staff that a problem is developing. Sophisticated units may have their own touch screen and onboard monitoring systems.

While these conveniences can be very helpful for daily monitoring, they must be double checked from time to time. Every unit needs to have a port installed for monitoring purity, even if there is a purity reading on the touchscreen.

A handheld oxygen monitor, such as the Maxtec analyzer, is an essential tool for any facility generating their own oxygen. It is a very quick operation to use a handheld oxygen analyzer to check purity at the port and is a necessary redundancy to in-situ purity monitoring. Further than just checking the gauges and values, it is important to listen to the sounds the unit is making and observe the two systems cycle back and forth. Changes in sound can indicate bad valves, loss of seal, or issues with the filter.

Troubleshooting

Troubleshooting an oxygen generator can be a frustrating task at times because it is part of a system and is affected by the other parts. Upon initial frustration trying to identify the source of an oxygen issue after inspecting the gas generator, take a step back and look at the system as a whole. Start from heart of the system, the compressor, and start following the flow of air/oxygen, inspecting as you go. Compressor issues will directly affect the performance of the oxygen generator, thus, keeping the compressor in top condition is as essential as maintaining the oxygen generator itself. Look at the air filters and dryer and look at the electronic drains for the compressed air tank – issues with any of these can affect oxygen generation.

A logbook should be kept for each unit, recording all relevant information on the machine including changes to the system, start-up and shutdown of units, maintenance and repairs performed, as well as any other relevant information pertaining to the operation of the unit. Two to three staff members should be involved in monitoring and recording information in the logbook to provide redundancy. A logbook gives staff reference to what was done and when, information invaluable for troubleshooting.

Maintenance schedule

Following the manufacturers’ maintenance schedule is extremely important for the efficiency and longevity of a PSA generator; maintenance is directly tied to the life of the unit. The sieve in the oxygen generator must be protected, moisture is the enemy. If the filtration or drying is inadequate, the sieve will start to fail.

Lise Marsh, independent representative at AirSep Corporation and long-time PSA provider, forwards that for Airsep PSAs “with proper preventative maintenance your sieve can last a lifetime, it all depends on maintaining a proper schedule for service.”

The solution for proper maintenance will depend on the farm. Some farms have maintenance staff inhouse, others will use local contractors to make service calls, and others will buy the service plan directly from the manufacturer/distributor. Regardless, a maintenance plan needs to exist and be followed, someone has to be watching. There are significant cost differences between these options, which may constrain some operations.

Manufacturer or dealer service plans can be expensive but are a great option for proper maintenance. However, a farm chooses to provide service, it is better to pay for the maintenance and commit the time necessary to be ahead of issues, rather than wait until the unit stops working, be down, and have to pay for the unit to be fixed. The cost of proper maintenance is always less than repair/replacement, plus down time costs, for a sophisticated piece of equipment.

Maintenance preparation

With so vital a system, staff need to be well prepared for inevitable failure. “You must be ready for the winter blackout at midnight,” Lise Marsh warns, “farms must be prepared for every failure you can think of.” The system must be setup for, and preparedness must exist, for ugly circumstances. A plan must be in place for unit failure and for quick repair. When a unit fails and the farm is using their backup supply, the farm now has no backup – restoring the down system is of the utmost importance because if the backup fails, has maintenance issues of its own, or there is issues getting supplies of liquid replenished, there is a huge problem.

Whether there is a maintenance staff onsite or contracted out, an adequate supply of spare parts needs to be on hand. Always keep parts in stock at the facility in case of supply chain issues; COVID-19 has proven this to be good practice. If service is contracted out, encourage the service provider to keep parts on hand for emergencies or have the provider maintain the stock at the facility. Filters, mufflers, and solenoid valves are the most essential parts to keep on hand, circuits and certain circuit boards can also be

a good idea depending on the model. The best way to determine what to keep on hand is to consult the owner’s manual and reach out to the manufacturer/distributor to see what pieces

they suggest keeping on hand and what parts are needed for routine maintenance. Manufacturer parts are usually the best, there is no reason to cut corners on something so important.

Telefon:

E-Mail:

• Recirculation System Design, Supply and Construction.

• Commercial Farms, Hatcheries, Aquaponics, Research Labs, Public Aquariums, Live Holding Systems – we do it all!

• Representing leading RAS equipment manufacturers.

VERY EASY TO USE

4 types of counters

FC2 - 300gr to 5Kg

FC4 - 50gr to 900gr

FC8 - 10gr to 120gr

FC12 - 0,5gr to 20gr - FRY COUNTER

COUNTING ACCURACY: 98%

COUNTING CAPACITY: 4 tons/hour

LINN Gerätebau GmbH

Seabed remediation with nanobubbles

A new technology is injecting oxygen in the seabeds below Chilean sea sites with anaerobic conditions, as well as in RAS facilities, obtaining promising results.

Between June and November 2020, 55 salmon-producing licences were anaerobic in Chile, according to the latest environmental bulletin published by the National Aquaculture and Fisheries Service (Sernapesca).

Since the Chilean regulation does not allow fish farming under anaerobic conditions, those sites were somehow useless. Some farmers have even provided misleading environmental information to avoid resigning to use a licence, like the salmon producing company Nova Austral, which in 2019, used dozens of tons of sand in one of its sites to alter the seabed. The firm was subsequently fined for those actions.

In Chile, an evaluation of the seabed is usually performed during harvest, when there is a higher biomass of fish in the site. Under the local regulation, farms fall into anaerobic conditions depending on the presence of bacteria, low oxygen levels, changes in redox (reduction/oxidation) potential and pH, and/or existence of organic matter. According to the type of seabed, one or more of those variables are evaluated.

Now, there is an option for seabed remediation in Chile. Injection of oxygen nanobubbles can turn anaerobic sites into aerobic ones.

Oxygen injection of nanobubbles

The Chilean technology consulting company ChucaoTec was established in 2018, when they started identifying incipient technologies, to generate applications and bring them closer to real problems in the aquaculture industry. That is how they began working with nanobubbles (see sidebar).

How nanobubbles help

Nanobubbles are less than one micron in diameter. If you go from the spectrum of microbubbles to the largest bubbles, all comply with the same physical laws, then the only thing that varies is that the diameter decreases. Therefore, for the same volume you have more surface of interaction with water and higher internal pressure, which makes the gas more soluble.

You go on an upward yield curve as you get smaller bubbles, but there comes a moment when the microbubble, in theory, is so small that it should no longer exist, because the pressure inside the bubble is so big, that gas should dissolve spontaneously. Then, there is a break in the physical laws that dominate this interaction between gas and water, and new phenomena are generated. Until recently, its own existence was in doubt, until new techniques allowed to observe them indirectly, because they are not visible under the microscope. Since it was demonstrated, several papers have appeared explaining why they are stable.

One of their properties is that they are very stable. They stay in the water for long periods of time. In the laboratory, they have been measured up to months after being generated. They do not float, because they have such small sizes and high pressure that other forces present in the water are more powerful than its buoyant force. They have an electrical charge that causes them to repel each other, so that they do not come together to form larger bubbles, and, in addition, they have an affinity with organic matter and certain dissolved metals.

They tend to dissolve, as certain energetic conditions occur that allow them to dissolve and, therefore, they generate a kind of oxygen reserve, but also other gases that give it greater stability.

This process brings in oxygen and therefore produces aerobic reactions, thus eliminating the opportunity for anaerobic reactions that produce sulfur. The compounds that result from these anaerobic reactions are what all these bacteria and microbes feed on.

Nanobubbles can be applied in several applications in land-based sites, especially in RAS.
PHOTO: CHUCAOTEC

After successful lab and field trials performed in 2019, they realized how fast they could degrade nutrients and one year later, began treating seabed that was mainly defined as class 3 (soft, <60m depth), class 4 (hard, <60 depth), and class 5 (>60m depth).

José Puga, one of the founders and general manager of ChucaoTec, explained that they have recorded the fastest remediation in class 3 seabed. “First, there is a pH increase in the sediment within days or a few weeks. After that, there begins a change in the redox potential and, in parallel, with some lag, the oxidation process begins. Now, we can predict quite well how the treatment will behave.”

By contrast, the slowest treatment took them almost three months. “According to the Chilean regulation, the presence of microbial coatings is evaluated in class 4 seabed. Basically, we have seen that nanobubbles systematically reduce these coatings and we can – quite confidently – hypothesize that what we are doing is eliminating the chemical reactions that feed these bacteria,” Puga added.

Since February 2020, the company has seen a meteoric growth. They treated three to four farms in the first six months, and at least three farms each month starting in August 2020. “Today, we have the capacity to be in six farms at the same time and our goal is to be present in no less than four sites in any given month. But in considering our view of the sustainability of the industry, we have designed and applied for permission from the government for permanent treatment systems that can prevent any damages to the seabed; prevention is better than recovery.”

ChucaoTec has treated sites belonging several industry-leading salmon production companies.

Other applications

So far, the company has used nanobubbles in Chilean sea sites farming Atlantic salmon (Salmo salar), Coho salmon (Oncorhynchus kisutch), and rainbow trout (Oncorhynchus mykiss). However, they foresee the potential use of these applications with other aquatic species and have started the trails in freshwater, with excellent results so far. These results have shown that the use of oxygen-nanobubbles reduce the oxygen consumption in freshwater, and make a more stable concentration of exigent on the tanks. Furthermore, these results show better performance of the fish prior to the stress reduction with the actual oxygenation Sistema that increases and decrees the oxygen levels on the tanks. In sea water, ChucaoTec has just completed trails to replace the used cage oxygenation system for a nanobubble system. Results showed a 66 per cent reduction in oxygen consumption and due to the characteristics of the company’s system

(oxygen input pressure is lower than 1.5 bar and a pressure drop in the equipment of less than 0.2 bar), the energy/fuel consumption can be decreased so oxygen can be produced onsite.

For example, Puga describes benefits for most fish species when nanobubbles are used to increase oxygen concentration in the water column. Likewise, he believes that remediation could be attained in different water bodies. “We have been looking for the opportunity to work in the lake for a long time and address eutrophication and contamination on the bottom, both from aquaculture operations and other human activities,” he said.

Likewise, he said that nanobubbles have several applications in land-based sites, “adding oxygen to the water for example, especially in recirculating aquaculture systems (RAS). They

Since February 2020, ChucaoTec has treated three to four farms in the first six months, and at least three farms each month, starting in August 2020.

have also been proven to increase the efficiency of floatation systems for the treatment of sewage and effluents from fish farms. To a lesser extent, there is also information about its disinfecting properties compared to ozone. Nanobubbles, in addition to oxidizing the fouling that adheres to pipes and ponds, also has a certain de-encrusting power, because it is capable of penetrating small porosities,” he explained.

Finally, Puga commented that they are in the first stage of their internationalization process. “We have started some talks with Norwegian companies, regarding seabed remediation. We are open to sell nanobubble generation equipment to other countries and, recently, we signed a representation deal with Ingenuity Worx, a small company in the United States (U.S.) that will help us both in the U.S. and Canada,” he said.

GenoMar joint venture supplies tilapia in Colombia

GenoMar Genetics AS has signed a joint venture agreement with Colombian genetics company, Agroavícola Sanmarino S.A.

The agreement includes the establishment of a new company to be named, GenoMar Genetics Colombia. The joint venture has already secured a quarantine and parent stock farm and will distribute tilapia fingerlings and juveniles from its land-based facility in the Huila province.

Newly appointed general manager, Martin Cordero, said the company expects to have its first products in the market in its fourth quarter of 2022.

“This is an important milestone in our expansion strategy,” says Alejandro Tola Alvarez, CEO of GenoMar Genetics Group. “Colombia is the second to third largest tilapia producer in Latin America and has a very export-oriented value chain that professionalizes quickly. Both companies have worked hard and patiently over several years with the vision of bringing genetic innovations and supply security to the Colombian tilapia industry.” www.genomar.com

Skretting introduces new hatchery feed

Gemma Neo, Skretting’s newest hatchery diet, was inspired by nature.

This new feed formulation uses raw material ingredients that larvae naturally want to consume. This presents hatchery operators with the opportunity to introduce the diet at their own discretion, potentially accelerating the weaning or shortening of co-feeding processes.

“In the wild, marine larvae will feed on a mix of different food sources with different protein profiles,” said Eamonn O’Brien, product manager LifeStart at Skretting. “With this solution, we have replicated those instinctive feeding behaviours through a diversification of beneficial raw materials, delivering an incredibly stable diet that the larvae find very appealing.”

Gemma Neo is also designed to be a cleaner feed that spreads quickly on the water’s surface and floats for longer before gradually descending in order to make the diet much more available. Its slow degradation rate also reduces negative effects on biofilters and overall water quality. Skretting said early evaluations of the new feed offers promising compatibility with recirculating aquaculture systems (RAS) and automatic feeders. www.skretting.com

Scottish Sea Farms shortlisted for green energy award

Scottish Sea Farms and its Barcaldine hatchery has been recognized for the Carbon Reduction Award category of the Scottish Green Energy Awards 2021.

The company has made it onto a shortlist, chosen from more than 100 entries.

Recently, Scottish Sea Farms was awarded a VIBES Good Practice Award for its successful pilot of a bespoke hybrid power systems aboard one of its feed barges, dramatically reducing fuel consumption and carbon emissions, and is also among 12 companies shortlisted by the VIBES for an Outstanding Achievement Award.

The company’s Barcaldine hatchery is a recirculating aquaculture system (RAS) facility that operates at a 600kw biomass energy system. Supplied by AMP Clean Energy, it uses locally sourced, sustainably managed wood chip to provide the 17,500 sq.m. hatchery with much of its heat and hot water, saving 683 tons of carbon annually compared with oil.

Elsewhere on-site, further efficiencies are being made via motion sensor LED internal lighting; wind and solar powered external lighting supplied by Autonomous iOt; and electric vehicle charging points for staff vehicles. www.scottishseafarms.com

Pebble

Labs announces new CEO

Dr. Rebecca White will now lead the New Mexico-based biotechnology company, Pebble Labs.

White previously served as Pebble Labs’ chief technology offiicer. This appointment signals a company prioritization in the development and commercialization of its Directed Biotics technology.

Directed Biotics is designed to harness naturally-occurring microbes to deliver ribonucleic acid (RNA) -based protection against pests and diseases. This technology has applications in agriculture and aquaculture.

Recently, the company has partnered with Carros, Franc-based veterinarian pharmaceutical group Virbac to co-develop and commercialize new solutions to treat white spot syndrome virus in farmed shrimp.

“Pebble Labs has the first sustainable technology to safely and effectively address the viral pathogens we are facing in large-scale aquaculture,” said Pierre Henning, director of Virbac’s aquaculture division said.

“Working with Pebble Labs to share their solution with farmers is a high priority for our aquaculture division this year, and we are committed to moving this project along quickly.”

David Morgan, the outgoing CEO of Pebble Labs, will be staying on as a strategic advisor. www.pebblelabs.com

Dr. Rebecca White

Aquaculture 2022

FISH

PUMPS + GRADERS + COUNTERS

Fish farming equipment designer and manufacturer

More than 15 complete grading packs, nursery packs, grow out packs, harvesting packs.

Turn static files into dynamic content formats.

Create a flipbook
Issuu converts static files into: digital portfolios, online yearbooks, online catalogs, digital photo albums and more. Sign up and create your flipbook.