Maryland November 2024

Page 1


Karl A. Smith, DDS, MS Periodontist
Brent C. White, Jr., DDS Dental Implants
Craig A. Smith, DDS General/Family Dentist
K. Washington-Plaskett, MD Cardiology
R. Robinson, AuD Audiology
Mary B. Alexander, DDS, DMSC General Dentistry
Sivakumar Sreenivasan, DMD Oral and Maxillofacial Surgeon
Mara Holton, MD Urology

The mission of the Washington Open MRI is to provide the highest quality diagnostic imaging with the most patient comfort in a professional environment. Our vision at Washington Open MRI is to bring greater awareness of the unique capabilities of our Stand-Up/Sit-Down positional MRI.

We were the World’s First positional MRI center, and only available at Washington Open MRI. This unique technology provides MRI results that ARE truly superior to all others available today.

We have been providing this unique experience for our patients in a non-claustrophobic environment for almost 30 years, and for most patients, you can watch TV during your MRI scan!

(located inside of Hol-Body Yoga Studio)

• Natural and Herbal Remedy Consults

Women’s Health/Womb Wellness

• Birth/Postpartum Doula Services

• Fertility Support

• Womb Meditation

• Womb Massage

• Vaginal/Yoni Steams

Spiritual and Mental Wellness

• Etheric Touch Sessions

• Reiki Sessions

Coming Soon:

• House Blessings

• Divinations

• Doula Training begins January 2024 for In Person Classes

Shirleta Henson McKann 410-265-9393

319 Crain Highway, S. Glen Burnie, MD 21061

Walk-In Hours Every Tuesday 4pm-7pm

Facebook: DReM’s Legacy Holistic Wellness Center

Instagram: @drems.legacy.holistic.wellness

At the Minimally Invasive Vascular Center (also known as MIVC) we have long been committed to addressing the vascular devastation that is rampant in our community. Each year cardiovascular disease is the world’s largest killer; killing more Americans than cancer. If you have painful legs, wounds that won’t heal, varicose veins, leg swelling, history of smoking, or have a family history of vascular problems and/ or are over the age of 50, you may suffer from poor circulation. Poor circulation may be responsible for causing erectile dysfunction in as much as 50 to 70 percent of men who develop the condition. Now we are happy to add expanded services! Our goal is to extend the healthy lifespan of our patients by using a comprehensive, integrative approach to achieve the most effective results. We believe that Beauty Is a Reflection of Health and Wellness. We want you to be as beautiful on the outside as you are healthy on the inside.

• Primary Care

• Wound Care

• Comprehensive Weight-Loss (including injectables)

• Aesthetics

• Age Spots

• Cellulite

• BOTOX® Cosmetic

• Fillers

• Microneedling w/PRP and Exosomes

• PRP Hair Restoration

• Spider Veins

• Body Contouring

• CoolSculpting

• Laser

• CoolTouch Laser

• Laser Hair Removal

• Laser Pigment Removal

• Laser Skin Resurfacing

• Laser Skin Tightening

• Skin Treatments

• Acne Scars

• PRP Injections

• Chemical Peels

• HydraFacial

• Microdermabrasion

• Sun Damage

• Vascular Procedures

• Arteriograms

• Atherectomy

• Balloon Angioplasty

• Radiofrequency Ablation – Veins

• Venogram

• Uterine Fibroid Embolization

• Coil Embolization

• Sexual Enhancement

• Hormone Therapy

• Gainswave

• P-shot/O-shot

In This Edition…

The articles below are provided by local health professionals for the benefit of the public. Please contact them for advice and services.

7 | Six Keys To Holiday Skin and Hair Health | By Hema Sundaram, MA, MD, FAAD

9 | What Is a Bunion? | By Howard Horowitz, DPM

9 | How Caregivers For Burn Injury Survivors Can Avoid Compassion Fatigue | By Paul Samakow, Attorney

10 | Recurrent Urinary Tract Infections In Women | By Mara Holton, MD

11 | Dentistry Is Expensive. Make the Investment Last. | By Karl A. Smith, DDS, MS

12 | Your One-Stop Solution For a Healthy Smile | Submitted By Total Dental Care

14 | A Healthy TMJ Means a Healthy Smile | By Jeffrey L. Brown, DDS

16 | All-On-Four Dental Implants | Submitted By Sivakumar Sreenivasan, DMD, MDS

17 | When Hypnotherapy = Beautiful Thoughts | By Janis KC Jarvis, MA, MHt, CLC

18 | Your Personal Environment Influences Your Weight | By Etwar McBean, MD, FACS

18 | Medical Marijuana Use Rises Among Women | By Sharron Sample, CEO

19 | The Thyroid Gland Is It Betraying You? | By Alan Weiss, MD

20 | Colorectal Cancer In Women | By Matthew Skancke, MD & Rami Makhoul, MD

21 | Hormone Therapy Combats Wrinkles | Submitted by New Day Vitality Hormone Center

22 | Exploring the Benefits Of TeethXpress Implants For Dental Health | By Larry Bryant, DDS

23 | Pregnant and Suffering? | By Alicia Kovach, DC

23 | Aging and Your Dental Health | By Judy Yu, DMD, MBA

24 | Alzheimer’s Awareness Month: Supporting Brain Health With Lymphatic Massage | By Kaitlyn Berry

27 | Independence Beneficial To Health For Older Adults | Submitted By Right At Home

28 | Acupuncture For PCOS | By Quansheng Lu, CMD, PhD, LAc

28 | Managing Hair Loss In Women: Unlocking the Secret | By Jaimi Jackson, Certified Trichologist, Owner

29 | Depression and Hormones In Older Women | Submitted By Empowered Connections, LLC

30 | A Pediatric Dentist Guide To Choosing the Best Toothpaste For Kids | By Elizabeth Shin, DDS

34-43 | Beauty, Skin Care and Gorgeous Smiles Featured Professionals

46 | The Marvelous Fallopian Tubes | By Yemi Adesanya-Famuyiwa, MD

48 | Psychiatric Rehab | By Joyce Abramson, RNMS

48 | Using Brain Waves To Teach the Mind To Stay Calm and Balanced | By Eileen Hanlon, Owner

50 | Teen Suicide | By Janet V. Johnson, MD

50 | The Ultimate Healing: Restoring Body, Mind & Spirit | By Sabrina Milanovich

52 | Hospice Chaplains: Religion Linkers and Spiritual Cheerleaders | By Sara Swinson, MA, BA, Chaplain

54 | Food Sensitivity and Food Intolerances | By Thomas K. Lo, DC

54 | Understanding Fibroids, Abnormal Bleeding, and Endometriosis | By Ashley Pimperl, MSN, CRNP

56 | The Growing Use Of Nurses | By James A. Cleaver, Esq.

56 | Prevent and Treat Osteoporosis | Submitted By Kensington Pharmacy

57 | Inner and Outer Skin Beauty Via Light Therapy Patches | By Linda Penkala, Author, LMT

58 | Naturally Beautiful Skin | By Toni Greene, Owner

58 | What Is Gout? | By Ademuyiwa Adetunji, DPM

59 | Can You Benefit From Braces? | By Jacqueline Brown Bryant, DDS, MS, PC

59 | Immediate Mini Dental Implants | Submitted by E. Taylor Meiser, DDS

66 | Acupuncture and Seasonal Depression | By Brittney de Vicq, MAc, LAc

Your Health Magazine is on a mission. There are far too many people, insured or not, who do not go to the doctor when they should, and in millions of cases, don’t know who they should go to, or why.

People are encouraged to buy a new house, car, cell phone or big screen TV, and those companies make themselves very visible and their products easily attainable.

Information about, and from, local healthcare providers is not easy to find, and many times those services are difficult to access.

Information and encouragement always lowers fear and trepidation about anything, and this is especially true in healthcare. While general information is available on web-sites, specific information from local providers is almost impossible for people to find. This is one of the key reasons chronic and episodic conditions are not cared for. It is our mission to:

Make A Difference By Empowering and Encouraging People To Live Healthier By Going To the Doctor When They Should.

There is a lot of evidence that the health professionals who participate in Your Health Magazine have helped many people over the years. We at Your Health Magazine salute you!

If you would like to find out how you can participate in one of our upcoming editions, please contact the office nearest you.

MARYLAND & WASHINGTON, DC OFFICE One Town Center 4201 Northview Drive, Suite 102 Bowie, MD 20716 Office (301) 805-6805 • Fax (301) 805-6808 info@yourhealthmagazine.net

VIRGINIA OFFICE Office (301) 805-6805 info@yourhealthmagazine.net

© Your Health Magazine, 2024. The magazine and all of its contents are protected by copyright. For permission to reproduce any materials in this magazine, contact publish@yourhealthmagazine.net

EDITOR-IN-CHIEF

Gregory Scott Hunter

Although we’re still enjoying the fall weather, the holidays are only weeks away. There will be opportunities to spend time with our loved ones, and to fill our days with seasonal hope and cheer. The holidays are an excellent time for us to review our health goals for the New Year and beyond, and to decide if we want to make a few changes.

Our skin is an important part of this health plan because it is the largest organ in our bodies. In association with our hair and nails, our skin is the mirror of everything that happens inside. Healthy, glowing skin is a sign of good general health, and also of energy and vitality.

Here are six tips for building good skin and hair health for the holidays and beyond.

1. Get a Skin Check

Skin cancer is now the most common cancer in the United States, and affects one in five Americans. The key to avoiding serious problems is early detection and treatment. The American Academy of Dermatology recommends annual fullbody skin examinations by a board-certified dermatologist, and more frequent examinations if you have a personal or family history of skin cancers or pre-cancers. Your dermatologist can show you how to perform regular skin self-exams at home in between your regular office visits.

2. Don’t Forget the Sunscreen

We are still vulnerable to sun damage in fall and winter, even though the days are colder and less bright. This includes while driving, as some of the sun’s damaging ultraviolet light rays can pass through glass. Year-round sun protection helps prevent

Six Keys To Holiday Skin and Hair Health

skin cancers and pre-cancers, as well as sunspots, wrinkles and premature skin aging.

Your first line of sun defense is clothing. For your hands, ears and the back of your neck, apply a broad-spectrum sunscreen with SPF of 30 or above daily, and re-apply every two hours while you’re outdoors. Modern sunscreen options include natural mineral sunscreens, brushon powders that leave no sticky or greasy residue, and sunscreens with added skin repair ingredients such as antioxidants and peptides.

3. Tackle Breakouts

Acne, skin redness or other skin breakouts can be due to blocked pores, hormonal influences, stress and hereditary factors. Washing your face twice a day with a gentle cleanser can help. Effective cleansers for acne can include specific ingredients like green tea, a natural anti-inflammatory treatment, as well as salicylic acid and other antibacterials. They can also help with dark marks and light scarring from acne.

A board-certified dermatologist can examine you fully and recommend a holistic plan including prescription creams, plus oral medications if needed for severe acne or rosacea. In-office procedures can also be helpful. Chemical peels with natural fruit acids, or Dermasweep MD with customized skin infusions will cleanse, exfoliate and unblock clogged pores, as well as improving pigmentation and fine lines and restoring skin radiance.

4. Health and Beauty Throughout

For true skin health and beauty, your doctor needs to know how to analyze your whole face in all three dimensions, with advanced understanding of your facial anatomy. Highly-skilled dermatologists and plastic surgeons individualize your treatment for your own skin type and concerns such as under-eye circles, wrinkles, bumpy skin or sagging. Ultherapy is FDA approved for nonsurgical brow, face and jawline lifting. Delicate doses of Botox or natural fillers like Restylane, Voluma and Juvederm can relax crows’ feet, forehead wrinkles

DO YOU HAVE THIN OR VERY THIN LIPS?

The Fairfax clinic of Board-Certified Dermatologist, Dr. Hema Sundaram, is currently seeking men and women with thin or very thin lips to join a clinical research trial for a lip filler. If you are at least 22 years of age and desire lip augmentation with a dermal filler, we encourage you to contact our office to learn more about this research study and to see if you meet the study requirements to participate.

Compensation up to $100 per visit

Study duration of up to 68 weeks 8-13 in office visits

Contact Safiya Marouf at dermdc@gmail.com call Fairfax, VA 703-641-9666 or Rockville, MD 301-984-3376 for more information

At the offices of DR. HEMA SUNDARAM, MA, MD, FAAD

Board Certified Dermatologist and Dermatologic Surgeon, International Teacher and Researcher in Advanced Dermatology and Plastic Surgery Technologies Follow us on Instagram: @twicebornbeauty & @drhemasundaram

and lines around the mouth, shape your brows and widen droopy eyes, and smooth out neck wrinkles. Expert, European-style techniques achieve a completely naturallooking result with no “frozen” look and little or no down time. Stimulation of new collagen and elastin can take years off your face.

Double chins show even more on Zoom because webcams add about ten pounds under the chin and make our necks look more wrinkled. Ultherapy and Exilis Ultra lasers use ultrasound and radiofrequency to tighten skin and melt fat with no down time, to re-define your jawline, and also sculpt the abdomen, waist, hips, buttocks, arms and knees. Kybella is an injectable fat dissolver. Re-contouring the chin and jawline with your own natural fat containing stem cells, or with fillers, can also work wonders for a double chin.

5. Hair Removal and Restoration

If you suffer from excess hair, a boardcertified dermatologist is the expert who can examine you to identify underlying medical causes such as polycystic ovarian syndrome (PCOS) or other hormonal imbalances. The hair itself can be removed safely, quickly and painlessly from all skin types with the state-of-the-art Gentle

YAG laser.

A board-certified dermatologist can also help hair loss due to stress or other causes, first with a comprehensive medical evaluation and second with scientifically validated solutions such as platelet rich plasma (PRP), which concentrates natural growth factors from a small sample of your own blood.

6.

Feminine (Vaginal) Rejuvenation

The changes that women experience as they go through childbearing, hormonal shifts and aging include vaginal laxity, stress urinary incontinence, and uncomfortable vaginal dryness. The first step is a GYN exam. If there are no underlying health problems, it can be transformative to treat these concerns with rapid, hormone-free non-surgical options such as the CO2RE Intima laser, which is gold standard treatment to remodel the tissue of the vagina and vulva by stimulating new collagen. Fillers can correct volume loss and improve the external shape and appearance of the vaginal lips or vulva. Based on our own patient experiences, these oftenoverlooked treatments enable women to lift their children and grandchildren without fear of urinary leakage, and revitalize their personal relationships.

You probably know family and friends whose lives were cut short by heart disease or cancer. Then you ask yourself “Is there any way to keep that from happening to me?” The answer is “yes.” Today there is a simple non-invasive test that can often identify these illnesses in their earliest stages, when they can most effectively be treated and cured.

It’s called the Virtual Physical. The Virtual Physical takes less than twenty minutes and is a safe, painless, high-speed full Body, Heart and Colon scan. It has already saved many lives by uncovering many illnesses like cancer, heart disease, aneurysms, and tumors.

The Virtual Physical is a test that gives you the advantage in finding diseases and abnormalities at their early stages, long before symptoms occur.

Make the choice that could save your Life.

What Is a Bunion?

A bunion is an enlargement of the joint at the base of the big toe the metatarsophalangeal (MTP) joint that forms when the bone or tissue at the big toe joint moves out of place. This forces the toe to bend toward the others, causing an often painful lump of bone on the foot.

Symptoms

• Development of a firm bump on the outside edge of the foot, at the base of the big toe.

• Redness, swelling or pain at or near the MTP joint.

• Corns or other irritations caused by

the overlap of the first and second toes.

• Restricted or painful motion of the big toe.

Podiatric medical attention should be sought at the first indication of pain or discomfort because, left untreated, bunions tend to get larger and more painful, making nonsurgical treatment less of an option.

The primary goal of most early treatment options is to relieve pressure on the bunion and halt the progression of the joint deformity. A podiatric physician may recommend these treatments

Padding & Taping

Padding the bunion minimizes pain and allows the patient to continue a normal, active life. Taping helps keep the foot in a normal position, thus reducing stress and pain.

Medication

Anti-inflammatory drugs and cortisone injections are often prescribed to ease the acute pain and inflammations caused by joint deformities.

Physical Therapy

Please see “Bunion,” page 61

Recurrent Urinary Tract Infections In Women Understanding, Prevention, and Management

Recurrent urinary tract infections (UTIs) are a common health issue for many women, affecting quality of life and overall well-being. Furthermore, patients with recurrent UTI are at higher risk of more serious infections which may require IV antibiotics, hospitalization and even progress to sepsis. A UTI occurs when bacteria enter the urinary tract and, while many patients experience common symptoms such as burning with urination and urinary fre-

quency or visible blood in their urine, other symptoms may include fever, chills, flank pain, lower abdominal pain, or pressure as well as urinary incontinence.

While most women may experience a UTI at some point, some suffer from recurrent infections, defined as experiencing two or more UTIs within six months, or three or more within a year.

Causes and Risk Factors

Several factors contribute to the development of recurrent UTIs in women:

1. Anatomy: Women have shorter urethras than men, allowing bacteria easier access to the bladder.

2. Hormonal Changes: Fluctuations in hormones, especially during menopause, can affect the urinary tract’s mucosal lining, leading to increased susceptibility to infections.

3. Sexual Activity: Sexual intercourse can introduce bacteria into the urinary tract.

4. Contraceptive Methods: Certain forms of contraception, like spermicides and diaphragms, can increase UTI risk.

Innovative Treatments

5. Preexisting Conditions: Conditions such as diabetes, urinary tract abnormalities, and kidney stones can predispose patients to recurrent infections as well as symptoms commonly confused with UTI. Proper diagnosis and treatment of underlying causes can, in some cases, eliminate the UTI symptoms permanently.

Symptoms

The symptoms of UTIs are often quite painful and include:

• Frequent and urgent need to urinate

• Burning sensation during urination

• Cloudy or strong-smelling urine

• Pelvic pain

• Blood in the urine

If left untreated, UTIs can have adverse affects on the urinary tract, including the kidneys and, in rare cases, may even result in permanent organ damage.

Prevention Strategies

Patients can take several steps to prevent recurrent UTIs:

1. Hydration: Drinking plenty of water helps dilute urine and flush out bacteria.

2. Urination Habits: Urinating regularly throughout the day and especially after sexual intercourse can help remove bacteria that may have entered the urethra.

3. Wipe Properly: Always wipe from front to back after using the toilet to minimize bacterial spread.

4. Avoid Irritants: Limit the use of feminine hygiene products, douches, and perfumed soaps that can irritate the urethra.

5. Cranberry Products: Some studies suggest that cranberry juice or supplements may help prevent UTIs by preventing bacteria from adhering to the bladder wall.

Mara Holton, MD

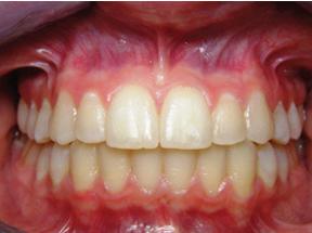
Dentistry Is Expensive. Make the Investment Last.

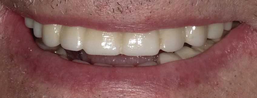
A radiant smile can be your most valuable asset. It’s the universal language of happiness, a key to leaving a lasting impression, and a source of confidence. However, the journey to maintaining a beautiful smile extends beyond just pearly whites. The foundation of a captivating smile lies in complete periodontal health. Taking care of your gums BEFORE spending on other dental procedures is essential for safeguarding your investment in a beautiful smile.

The Hidden Power of Healthy Gums: When we think about an attractive smile, we often focus on the appearance of our teeth. While having straight, white teeth is undeniably important, they are only part of the equation. Healthy gums play a vital role in framing and supporting your teeth, and enhancing your overall smile.

The Visual Balance: Picture a piece of art in an exquisite frame. The frame complements and enhances the artwork’s beauty, making it stand out. Similarly, your gums serve as a frame for your teeth. When your gums are healthy, they provide an even and symmetrical backdrop that highlights the brilliance of your teeth. Conversely, gum issues like inflammation, recession, or disease can disrupt this harmony and detract from the way your smile looks.

Gum Health and Confidence: Beyond aesthetics, your smile is a reflection of your confidence. People with healthy gums tend to smile more freely, knowing that their gums are not a source of embarrassment. On the other hand, individuals with gum problems may feel self-conscious about their smile, impacting their self-esteem.

The Consequences of Neglect: Neglecting periodontal health can have far-reaching consequences. Periodontal disease, commonly known as gum disease, is a prevalent condition that can wreak havoc on your smile. It starts as gingivitis, causing redness, swelling, and bleeding of the gums. Left untreated, it can progress to periodontitis, leading to gum recession, tooth mobility, and even tooth loss.

The Domino Effect: Gum disease isn’t just a localized issue. It can have systemic effects on your overall health. Research has shown links between gum disease and various health conditions, including heart disease, diabetes, and respiratory illnesses.

By neglecting your gum health, you might unknowingly be putting your general well-being at risk.

Protecting Your Smile Investment: Now that we understand the importance of complete periodontal health, let’s explore how you can protect your beautiful smile investment:

Regular Dental Checkups: Make sure to stay on schedule for regular dental checkups with your dentist and hygienist. They can detect early signs of gum disease and provide guidance on proper oral hy-

giene practices.

Daily Oral Care: Maintain a consistent oral care routine, including brushing, flossing, and using an antiseptic mouthwash. This helps remove plaque and bacteria that can lead to gum problems.

Healthy Lifestyle Choices: A balanced diet, regular exercise, and avoiding tobacco products contribute to both gum and overall health.

Professional Treatments: If you have gum issues, consult a periodontist, a specialist in gum health.

They can provide advanced treatments like deep cleaning or gum surgery when necessary.

Awareness: Stay informed about the importance of gum health and be proactive in addressing any issues promptly.

Your smile is a precious asset that deserves the best possible care. Complete periodontal health is the hidden foundation that ensures your smile remains beautiful, confident, and radiant. By prioritizing your gum health alongside your teeth, you’re making a long-term investment in a smile that will continue to light up your world and save you many dollars over your lifetime. So, remember, when it comes to your smile, it’s not just about the teeth; it’s about ensuring total gum wellness.

(and they love to refer to us as friends and family). My team works together to ensure your visit is enjoyable, and that your treatment is gentle and pain-free. We are deeply committed to help you prevent and treat periodontal (gum) disease, and to enhance your smile to improve your overall health.

Charles L. Feitel Company

6701 Democracy Blvd., Suite 300 Bethesda , MD 20817

Direct: (301) 365-6940

Fax: (301) 365-6941

Email: cfeitel@medicalanddentalspace.com

CHARLES L. FEITEL “The Medical Expert In The Washington Metropolitan Area Commercial Real Estate Market”

Let Charles Feitel help you with your next space requirement. His professionalism and medical expertise are unsurpassed. Call now!!

Your One-Stop Solution For a Healthy Smile

Submitted

By

Total Dental Care

Maintaining optimal dental health is crucial for overall well-being, and finding a dental office that offers comprehensive care under one roof is a game-changer. Total Dental Care is a well-established dental practice that takes pride in providing detailed and comprehensive services in various specialties, ensuring patients receive topnotch care for their unique dental needs.

General Dental Services: Total Dental Care excels in offering a wide array of general dental services, including routine check-ups, cleanings, and preventive care. Our experienced team focuses on early detection and intervention to prevent dental issues from escalating.

Specialized Services: Whether you require orthodontic adjustments, periodontal treatments, Invisalign, dental implants, prosthodontics, oral

surgery, extractions, root canals and endodontic treatments, or restorative and cosmetic dentistry, Total Dental Care has you covered. Our specialists are experts in their respective fields, ensuring you receive tailored treatments for your specific dental concerns.

Cutting-Edge Technology: Total Dental Care stays at the forefront of dental technology, offering services such as digital intra-oral cameras, cone-beam CT scanners, and teethin-a-day. Our commitment to utilizing advanced techniques ensures effective and efficient treatments while minimizing complications.

Sedation Options: Understanding the anxiety some patients may feel, Total Dental Care offers laughing gas, oral sedation and IV general anesthesia options. Our goal is to create a comfortable and stress-free environment, catering to the individual

Please see “Healthy Smile,” page 61

A Healthy TMJ Means a Healthy Smile

When the jaw joint – the TMJ – is not properly aligned and the discs that cover the top of the jaw bones (the condyles) are displaced, this creates a lot of inflammation that affects the entire body. So many people experience

Disorder – and yet are completely unaware that it exists. TMD can manifest as headaches, neck pain, back pain, throat pain, swallowing problems, tremors/ twitches, and many other symptoms. When a person has TMD it can affect their whole body and the pain from the damaged joint leaves a person feeling tired, in pain, irritable, and generally

in bad shape.

So, what does a person need to do to figure it out? The first step is to find someone who can get a good MRI of the jaw joints and see if the discs in the joints have been displaced. If so, then you need to figure out how to treat the problem. Think of it like this: if your kneecap is slipped off to

We Are NOT Your Typical Dental Office

the side, then it just plain hurts to walk with that little meniscus slipped away from where it should be. The jaw joint disc is the same way – if displaced, it can and will rub against nerves and blood vessels in the area and cause radiating problems that can actually travel through the entire body.

This may seem strange, but a displaced articular disc has been observed to correlate directly with the ACL injury in the opposite side knee. This is a very common injury, but the way it works is that the displaced TMJ disc causes an asymmetry in the cranial structures, and this radiates all the way down to the knee. In other words, the head bone is connected to the ankle bone. Such a displacement can really cause your smile to go sideways into a frown.

Dr. Jeffrey Brown has limited his practice to focus only on TMJ Disorders, Craniofacial Pain Management and Sleep Apnea. By fixing slipped discs in the jaw joints, Dr. Brown can significantly reduce the pain patients experience in the head/neck region and other symptoms associated with jaw joint problems. Sleep & TMJ Therapy may be able to improve the quality of life for you or a loved one – we encourage you to contact us with any questions or concerns.

“Dr. Brown and his staff are absolutely wonderful. I was diagnosed with Dystonia. I could not turn my head and had a ton of pain. My doctors offered no help and no advice besides Meds and Botox. Since having the appliance I have NO pain and I can turn my head. I would highly recommend them to anyone. I feel Dr. Brown and his staff really care about their patients and helping them to get better. They do not just numb the symptoms but fix the problem. Thank you from the bottom of my heart. I feel like the old me again!”

- D. Thomas

“My daughter has been treated by Dr. Stack and Dr. Brown for the last 2 1/2 years, and we are very fortunate to have found them. Prior to that she was being treated by a neurologist at a Children’s hospital. She was on medications for tics and associated muscle pain, OCD/repetitive thoughts, sleeplessness and more (all possibly associated with Tourettes). Drs. Stack and Brown installed spacers to alleviate pressure on nerve bundles in the jaw, and subsequently braces to complete the process. Her symptoms have diminished significantly. She is off medication, her tics have all but disappeared, she can concentrate better in school, and she is once again cheerful and relaxed.”

- Susan

One of the more recent observations in regard to TMD is that the displaced disc in the jaw joint can actually contribute to shoulder injuries. That is right – if the articular discs are out of place, then the condyles may be too deep in the socket, and this is a signal to the body that the power to your arms should be cut off. By doing something called the ‘arm strength test’ it can readily be determined if the condyles are too deep in the sockets. This simple test involves pressing down on the arm when it is out to the side or up in the air and then assessing the same strength point but with the jaw propped open just a bit with cotton rolls or even a pencil. The results are quite interesting and will definitely make most people smile.

As you can guess by now, if the TM joints are healthy then this really helps the entire body become healthier. This is where the healthy joints make healthy smiles.

Jeffrey L. Brown, DDS
Jeffrey L. Brown, DDS

• Natural, safe, laser light energy is pulsed and absorbed by the subcutaneous tissue.

• Supercharges the body’s metabolism through ATP synthesis to burn fat as energy.

• Waste products are expelled from the body via sweat, urine and respiratory exhaustion.

• The body continues to burn fat for up to 4 hours after treatment.

• Collagen and elastin production is increased within the skin layers to rejuvenate and repair skin cells addressing cellulite, skin laxity and stretch-marks.

Healthy Teeth & Gums for the WholeFamily!

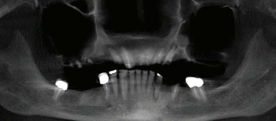
Can just four implants replace all of the teeth on the top or the bottom of your mouth? Thanks to advances in dental implant technology, that answer is a resounding yes.

Tooth loss is extremely common among adults, especially as we age. Rather than living with the discomfort and hassles of dentures, many people are opting for what is called “all-onfour” dental implant restoration.

An implant is a small titanium

screw that fits inside your jawbone and replaces the root-part of a missing tooth. Minor surgery is required to insert the implants. Once the implant is in place, a crown is attached to give you a highly realistic-looking and functional prosthetic tooth.

You do not need a dental implant for each and every one of your missing teeth. All you need is four precisely placed implants on the top of your mouth, and four on the bottom, to restore your full smile. That’s the beauty of the all-on-four. And because the implant is made of titanium, it has the unique ability to fuse to living bone and function as part of it. So eventually, the dental implant becomes part of the jawbone and serves as a strong, longlasting foundation for your new teeth.

Besides ensuring that your implants are permanently fixed in place, this bone fusion has another important benefit: it prevents future bone loss in the jaw. This helps to maintain a more youthful facial structure – and better

Please see “All-On-Four,” page 61

When Hypnotherapy = Beautiful Thoughts

Self-Confidence, Better Fitness and Self-Care; Beauty Happens

In a world increasingly focused on external appearance, the quest for radiant skin and beauty often leads us down a myriad of skincare routines, products, surgery, and treatments. True beauty ex-

tends beyond all that. It is also the result of our lifestyle, fitness, and moods. One’s inner beauty is often reflected in the very expressions we wear and the way we carry and project ourselves.

Hypnotherapy can help you reshape your beliefs about beauty and self-worth, release negative emotions, and replace them with pleasant, calm and happy ones. Then, you can automatically wear facial expressions that reflect your true beauty rather than being obscured by habitual detrimental beliefs and emotions. A warm, relaxed face can project beauty.

Here’s where Hypnotherapy comes to the rescue. Hypnosis, by definition, is a relaxed state of focused concentration and therefore

By Janis KC Jarvis MA, MHt, CLC Hypnotherapy By The Bay, LLC

Your Personal Environment Influences Your Weight

Weight management is challenging and as a society we are facing an epidemic with obesity. In looking at the environmental component to weight management, we are considering a person’s experiences and exposures on a daily basis.

What is the potential for healthy lifestyle practices that lead to weight loss versus unhealthy practices that lead to weight gain? Diet and exercise are the major modifiable factors related to weight management and so we will explore the environment in relation to these factors.

At home, what do you see when you open the refrigerator or the cupboards? Do you see high calorie drinks and foods or do you see healthy low calorie drinks and foods. Are you more likely to fix yourself a healthy meal or have a fruit or are you more likely to drink a soda, or maybe eat potato chips, cookies, or carry-out food. What foods does the rest of your household eat and keep around you? Similarly, in the work environ-

Please see “Environment,” page 61

Medical Marijuana Use Rises Among Women

There is a very wide range of opinions about marijuana use for medical or recreation – from 100% supportive to completely against it. It’s very difficult to navigate the range of information in social media. What we do know, is that it is becoming more the “norm” in younger people with sharp uptakes in women’s use, and that many derive benefits form its use. So, why are more women turning to

marijuana? What products are trending? What are the perceived benefits of cannabis for women? Of this group, baby boomers seem particularly attracted to CBD products, including face and body creams and bath bombs. Improved health and wellness appear to be significant factors in the rise of cannabis use in popularity among women. In fact, many women are now using marijuana as a routine part of their self-care.

More women are turning to marijuana to relieve chronic pain, soothe aches and pains following a workout, alleviate depression and anxiety, improve sleep quality, and ease the symptoms associated with menopause. These benefits also made women less likely to use pills for symptomrelief. One study reported that 71% of female cannabis users said that they’ve decreased purchasing of over-thecounter medication, and 35% revealed a decline in prescription drug use.

Please see “Marijuana,” page 63

The Thyroid Gland Is It Betraying You?

The thyroid, a small yet indispensable aspect of the body’s hormonal system is a small butterfly shaped gland, normally weighs less than one ounce and is located in the front of the neck.

Thyroid hormone is produced in the thyroid by the addition of iodine to thyroglobulin protein which contains an amino acid called tyrosine. The thyroid gland produces primarily thyroxine (T4), which is then converted in the body to tri-iodothyronine (T3),

which is really the active aspect of thyroid in the body.

It is very common for a person to have multiple, seemingly unrelated health complaints that begin to resolve only once a thyroid condition is diagnosed.

When the thyroid is overactive (hyperthyroidism) and producing too much thyroid hormone, or if the person is taking in too much thyroid, the body’s metabolism speeds up. The heart rate may speed up; the person may experience body aches, anxiety, hair loss, weight loss, bowel problems, difficulties with concentration, and multiple other problems. There are various therapies for this, all aimed at reducing the level and effect of thyroid hormone in the body.

More commonly than hyperthyroidism, in the event that the thyroid is under active, is hypothyroidism. With hypothyroidism a person will often experience fatigue, intolerance to cold, constipation, hair loss, weight

Please see “Thyroid Gland,” page 61

Colorectal cancer is the third most common cancer among women, yet it remains a condition that many overlook until it’s too late. The good news is that with early detection, colorectal cancer can often be treated successfully. This is why regular screenings, particularly for women approaching or

Colorectal Cancer In Women

The Importance of Early Detection & Screening

over the age of 50, are crucial.

Why Early Detection Matters

Early detection significantly increases the chances of survival.

Colorectal cancer begins as small polyps in the colon or rectum, which may not show any immediate symptoms. These polyps can be removed during

routine screenings, preventing them from becoming cancerous.

Women, in particular, should prioritize getting screened around age 50, or earlier if they have a family history of colorectal cancer. A colonoscopy is one of the most effective screening methods, allowing doctors to detect

Feel Confident Entrusting Your Health In Our Hands

and remove polyps before they turn into cancer.

Risk Factors Women Should Know

Several risk factors increase the likelihood of developing colorectal cancer. Age is one of the most significant, with the risk increasing as women grow older, particularly after 50. Family history plays a major role, as well as personal history of inflammatory bowel diseases like Crohn’s or ulcerative colitis. Additionally, a diet high in red or processed meats, smoking, and a sedentary lifestyle all contribute to an increased risk of colorectal cancer.

Symptoms Women Often Overlook

Colorectal cancer symptoms are often subtle, making it easy to ignore or attribute them to less serious conditions. Women may experience changes in bowel habits, such as diarrhea or constipation, that persist for more than a few days. Blood in the stool, unexplained weight loss, abdominal pain, or persistent fatigue are also warning signs. Women should never dismiss these symptoms, especially if they continue over time, and seek medical evaluation immediately.

Reducing Risk Through Lifestyle Changes

While some risk factors like age and genetics cannot be controlled, lifestyle choices can significantly reduce the risk of colorectal cancer. A diet rich in fiber from fruits, vegetables, and whole grains is associated with a lower risk. Regular physical activity, maintaining a healthy weight, limiting alcohol consumption, and avoiding smoking are all important strategies for reducing the likelihood of developing colorectal cancer.

Regular screenings, healthy habits, and paying attention to potential symptoms are vital in the fight against colorectal cancer. Early detection saves lives, so don’t wait—schedule that colonoscopy and take control of your health.

Hormone Therapy Combats Wrinkles

As if hot flashes and mood swings weren’t enough, the Journal of Gynecological Endocrinology states, “there is a strong correlation between skin collagen loss and estrogen deficiency due to menopause.”

Collagen is the protein that provides structural support for the skin and is responsible for skin elasticity. In the first five years after menopause, women’s skin loses about 30% of its collagen. The skin becomes more fragile and susceptible to trauma.

Around age 50, the pH level of women’s skin also changes, resulting in skin that’s more sensitive, leading to rashes and easily irritated skin. Wound healing also is impaired in older women. But most concerning, after menopause, women’s risk of skin cancer rises.

The Good News: Skin Is Estrogen Responsive. Several studies support the antiaging properties of estrogen replacement therapies in

postmenopausal women, says Gynecological Endocrinology, the official journal of the International Society of Gynecological Endocrinology

“Systemic and topical estrogens appear to have positive effects on hormonal aging, increasing skin collagen content, thickness, elasticity, and hydration,” says the American Journal of Clinical Dermatology (AJCD), in Estrogen and Skin, an overview of relevant studies.

The same article also says that women receiving hormone replacement therapy have higher levels of sebum – an oily, waxy substance that coats, moisturizes, and protects your skin.

Estrogen therapies may also improve wound healing and reduce the incidence of wound complications. In fact, “topical estrogen has been found to accelerate and improve wound healing in elderly men and women,” says the AJCD.

Currently, hormone replacement therapy is used primarily for treating Please see “Hormone Therapy,” page 61

ThunderBird Dental Office affectionately known as the ThunderBird, has been providing dentures and denture repairs for over 40 years. Our dental lab is on our premises which allows us to deliver same day repairs and relines. We also perform extractions for immediate dentures.

building, to

Exploring the Benefits Of TeethXpress Implants For Dental Health

TeethXpress implants have revolutionized dental care by offering a comprehensive solution for individuals struggling with missing or failing teeth. Let’s delve into the educational aspects of TeethXpress implants, focusing on their benefits and what to expect from this innovative procedure.

Understanding TeethXpress Implants

TeethXpress implants are a modern dental solution designed to replace missing or damaged teeth with a permanent set of prosthetic teeth. Unlike traditional dentures, TeethXpress implants are securely anchored to the jawbone, providing stability and functionality comparable to natural teeth.

Immediate Results and Lasting Impact

One of the primary advantages of TeethXpress implants is the immediate results they offer. Unlike traditional dental implant procedures that may require multiple visits over an extended period, TeethXpress can often provide a complete set of new teeth in just a few hours. This quick turnaround time allows patients to swiftly regain their ability to eat, speak, and smile confidently.

Improved Dietary Habits and Quality of Life

TeethXpress implants can significantly improve dietary habits and overall quality of life for individuals struggling with compromised dental health. By providing a stable and functional bite, these implants enable patients to enjoy a wide variety of foods without restrictions. Moreover, the aesthetic enhancement provided by TeethXpress implants can boost self-confidence and contribute to a more positive self-image.

Preservation of Jawbone and Long-Term Oral Health

Beyond immediate benefits, TeethXpress implants contribute to longterm oral health by replacing missing teeth and stimulating the jawbone. This helps prevent bone loss and preserves facial structure, reducing the risk of future dental complications. By maintaining optimal oral health, individuals can enjoy improved overall well-being and longevity.

Affordable Access to Dental Implants

Concerns about the cost of dental implants should not deter individuals from considering TeethXpress. While dental insurance may provide partial coverage, alternative payment options such as healthcare installment plans or financing options can make the procedure financially accessible for many individuals. By exploring these options, patients can pursue dental implants without compromising their financial stability.

BEFORE AND AFTER PHOTOS

Empowering Dental Health with TeethXpress

TeethXpress implants offer more than just a cosmetic enhancement; they provide a comprehensive solution for individuals seeking to restore their dental health and quality of life. By understanding the educational aspects of TeethXpress implants, individuals can make informed decisions about their dental care and take proactive steps towards a healthier, more confident future.

For those considering TeethXpress implants, consulting with a certified provider is essential. To learn more or schedule a consultation, individuals can contact a TeethXpress provider in their area.

Investing in dental health is investing in overall well-being. With TeethXpress implants, individuals can reclaim their smiles and enjoy the benefits of optimal oral health for years to come.

Pregnant and Suffering?

Are you aware of anyone who is expecting a baby and experiencing lower back or sciatic nerve discomfort? Have they consulted with a chiropractor?

Throughout pregnancy, numerous physiological and endocrinological transformations take place to prepare for the growing fetus. These shifts can lead to spinal or joint misalignment:

• An expanding belly and an in-

creased curvature in the back.

• Alterations in the pelvis.

• Changes in posture.

Ensuring that a pregnant woman maintains pelvic balance and alignment is another rationale for seeking chiropractic treatment during pregnancy. When the pelvis is out of alignment, it may restrict the available space for the developing baby, a phenomenon known as intrauterine constraint. Moreover, a misaligned pelvis might hinder the baby from assuming the optimal birthing position, potentially affecting the mother’s ability to have a natural, non-invasive childbirth. Breech and posterior positions can complicate the labor process and lead to interventions like cesarean sections. In cases of breech position, chiropractors employ a technique called the Webster technique.

Potential advantages of chiropractic care during pregnancy encompass:

Please see “Pregnant,” page 61

Aging and Your Dental Health

The older adult demographic is on the rise, presenting unique challenges in healthcare. Managing the health of aging patients can be intricate due to concurrent medical conditions such as high blood pressure and diabetes. Moreover, the frequent use of prescription medications by older adults heightens their susceptibility to medication errors, drug interactions, and adverse reactions.

The process of delivering home

oral healthcare and patient education/ communication can become intricate due to physical, sensory, and cognitive impairments often associated with aging. Dental issues that commonly affect seniors include dry mouth (known as xerostomia), root and coronal caries, and periodontitis.

Notably, a staggering 19% of seniors no longer have any natural teeth, and a Massachusetts survey has unveiled that 34% of seniors experience dental discomfort. Alarmingly, more than half (53%) of seniors grapple with moderate to severe periodontal disease.

Please see “Dental Health,” page 63 Dental FX

Tooth Loss

Seniors who have lost most or all of their teeth often struggle to maintain a balanced diet, as they may avoid fresh fruits and vegetables. Reliance on soft foods can lead to nutritional deficiencies and a decline in overall health. Additionally, these individuals may experience pain, speech difficulties, and feelings of embarrassment and reduced

• Children’s Dentistry

• Cosmetic Dentistry

• Crowns and Bridges

• Dental Implants

• Dentures

• Extractions

• General Dentistry

• Invisalign

• Periodontal Treatment

• Tooth-Colored Fillings

Alicia Kovach, DC Aric Adlam, DC Kristina Anderson, DC

Alzheimer’s Awareness Month Supporting Brain Health with Lymphatic Massage

plays a crucial role in removing waste and toxins from the body, including the brain, and improving its function can have benefits for mental clarity and overall brain health.

At Advocate Support Services, Inc., we’re dedicated to helping adults with mental illness regain control of their lives through comprehensive psychiatric rehabilitation. Our mission is to support your journey towards independence and improved quality of life. With our expert team by your side, you’ll experience:

• Increased independence and better community engagement

• Improved compliance with medication and medical treatments

• Fewer missed appointments and better provider coordination

• Decreased hospitalizations and reduced recidivism

We advocate for those with mental illness, helping to reduce the need for acute medical services and affect positive changes in the mental health system. Why Choose Us:

• Personalized services tailored to your individual needs and preferences

• Compassionate, highly trained staff

• Comprehensive support to maximize your personal independence Service Areas:

• Anne Arundel County

• Baltimore City/County

• Howard County

• Prince George’s County

November is Alzheimer’s Awareness Month, a time to focus on brain health and ways to reduce the risk of cognitive decline. One often overlooked approach to supporting brain function is through lymphatic massage, with additional focus in the head and neck area. The lymphatic system

Performing gentle lymphatic massage around the head and neck helps stimulate lymph flow, encouraging the removal of metabolic waste and reducing inflammation in brain tissues. This is especially beneficial in addressing the glymphatic system, the brain’s unique waste removal system. By improving lymph flow in these areas, we support the brain’s ability to clear out the toxins that can amplify symptoms of Alzheimer’s and other neurodegenerative conditions.

In addition to lymphatic massage, it’s important to understand the gut-brain connection. The gut is often

Please see “Alzheimer’s,” page 65

November Workshop 11/20/2024 at 6:15pm

Detox, Destress & Boost Your Immunity This Holiday Season!

Join Magothy Therapy & Wellness in collaboration with Euphoric Herbals (Edgewater) for an unforgettable wellness experience on Wednesday, Nov 20 at 6:15pm at Euphoric Herbal in Edgewater 143 Mitchells Chance Road, Edgewater Md 21037

People can book on my website or call Euphoric Herbal

What’s Included:

• Learn about your lymph system & herbs that promote lymph flow

• Guided self-lymph massage to debloat & destress

• 30-minute flow yoga to maximize decongestion & immunity

• Create your own lymph flow tea to take home!

Let’s start the holiday season feeling light, balanced, and energized!

www.MagothyTherapy.com kbarry@magothytherapy.com 202-681-1779

ACCEPTING NEW PATIENTS

Independence Beneficial To Health For Older Adults

Anyone caring for a senior should understand that just because someone requires assistance doesn’t mean they don’t want to feel a degree of independence. The basic human desire for this doesn’t go away with age. It starts in adolescence, continues through childhood and adulthood, and evolves in one’s later years. Aging can chip away at it, but fostering a sense of independence in the older adult you help can promote a sense of empowerment and self-worth for them.

The Benefits Of Autonomy

Experts say seniors under the care of a professional or family member are best served when encouraged to maintain whatever degree of autonomy they assert for themselves and can safely manage. A sense of empowerment can lower the risk of isolation and depression and keep folks physically active and mentally engaged. And, the more

independent someone feels, the more likely they are to interact socially with peers, loved ones, and neighbors and take better care of themselves; in that way, independence begets good health.

Technology and Home Adaptations Can Help

Professional caregivers know how important independence is, which is why they listen to what seniors in their care want and need. It may not be practical or safe for a senior to get all the independence they crave, but that’s where adaptive compromise comes in. The senior and their caregiver should work together to ensure what the older adult asks for can be reasonably met. There are simple home adaptations that can help seniors maintain independence while aging in place. In the case of fall prevention, falls at home account for most injuries to seniors. If a senior falls, it can be debilitating enough to rob one of

Please see “Independence,” page 52

Award-Winning Services

Companion Care: Everyone needs companionship. Whether it’s helping with chores, transportation, socialization or activities like puzzles, our caregivers keep your loved one engaged and active.

Personal Care: A daily routine can be one of the strongest reminders of what makes home feel like home. When those day-to-day tasks get harder, our caregivers help maintain the comfort and familiarity of home life.

Specialty Care: Even though every care situation is unique, Right at Home caregivers are not only experts in specialty care such as dementia and hospice care, but they’re trained to help you cope as well, so you can feel comfortable knowing your loved ones are in good hands.

Live-In Care: This service is when a trained caregiver lives with the client and provides care throughout the day, offering 24/7 support tailored to their needs. We provide long-term, and short-term live-in options ideal for those needing consistent, around-the-clock care or for family caregivers seeking a temporary break.

Home—there’s truly no place like it. It’s where your memories live, where you raised your family, and where friends gathered for life’s celebrations. It has been your sanctuary through the ups and downs of life, and it’s where you want to stay. At Right at Home, our mission is to help you remain where you feel most comfortable—because we exist to be your trusted guide in living well at home, wherever home may be.

Aging, disability, illness, or injury can make staying at home challenging. We believe no one should have to navigate the complex decisions and unexpected changes alone. As experts, we offer more than just care—we provide guidance and support through every step of the journey. Right at Home’s dedicated caregivers are passionate about making a difference in clients’ lives, knowing that with every person they help, they’re making the world a better place.

Polycystic Ovarian Syndrome (PCOS) is a complex condition where the ovaries produce excessive levels of

Acupuncture For PCOS

male hormones and develop numerous small cysts. While its exact origins remain somewhat elusive, it’s a prevalent gynecological endocrinopathy that affects approximately 6-8% of women in their reproductive years. This condition’s impact on women’s reproductive health is undeniable, as it can lead to an astonishing 75% of anovulatory infertility and is a contributing factor to increased rates of early pregnancy loss. Beyond its gynecological aspect, PCOS brings additional

Wholelife Acupuncture & Fitness Center

Quansheng Lu, CMD, PhD, L.Ac www.wholelifeherb.com • luquansheng@gmail.com 301-340-1066 • fax: 301-340-1090

Guest professor, Henan University of Traditional Chinese Medicine (TCM) Chief TCM Physician, WFCMS; M.S. in TCM, Beijing University of TCM PhD in integrated medicine, China Academy of Chinese Medical Sciences Fellowship, Georgetown University & Children’s National Medical Center 3 patents, 8 books of TCM, 30 papers, 30+ years of experience in TCM

Low back pain • eczema • arthritis • allergies

cough • insomnia • paralysis obesity • nephritis • hepatitis • infertility • PMS • side effects of cancer treatment 416 Hungerford Drive, #300 Rockville, MD 20850 5022 Dorsey Hall Drive, #101 Ellicott City, MD 21042

metabolic challenges, including insulin resistance (IR), impaired glucose tolerance, and dyslipidemia.

PCOS is not solely a gynecological concern; it extends its influence from puberty to postmenopause, making it a persistent concern throughout a woman’s life.

Therefore, it is crucial not only to address the immediate complaints of PCOS patients but also to prioritize their long-term health, particularly those with obesity and/or IR. Timely and effective interventions are paramount to mitigate the adverse consequences associated with PCOS.

Conventional medical treatments for PCOS encompass prescription medications, surgical options, and lifestyle modifications.

Studies on acupuncture in PCOS, though non-randomized, indicate a low incidence of adverse events, no

heightened risk of multiple pregnancies, and cost-effectiveness.

Acupuncture’s potential impact on beta-endorphin production, which in turn may influence gonadotropinreleasing hormone (GnRH) secretion, suggests a role in ovulation induction and fertility enhancement.

Recent research has highlighted traditional Chinese medicine’s capacity to regulate gonadotropin-releasing hormone, induce ovulation, enhance uterine blood flow, and address menstrual irregularities associated with PCOS. Additionally, it has shown promise in aiding individuals with infertility linked to polycystic ovarian syndrome, as well as those grappling with anxiety, stress, and immunological disorders. However, it is imperative to seek out a well-trained professional acupuncturist to achieve optimal outcomes.

Managing Hair Loss In Women Unlocking the Secret

Hair loss is a common problem that affects both men and women. However, it is not often discussed in women, and it can have a significant impact on their self-esteem and quality of life. In this article, we will discuss the causes of hair loss in women, its impact, and ways to manage it.

Causes Of Hair Loss In Women

There are several causes of hair loss in women, and it is essential to identify the underlying cause to determine the best course of treatment. Some causes of hair loss in women are:

• Hormonal Changes: Hormonal changes, such as those that occur dur-

ing pregnancy, menopause, and thyroid disorders, can cause hair loss.

• Hereditary Factors: Hair loss can be inherited from parents, especially if there is a history of baldness in the family.

• Medical Conditions: Certain medical conditions, such as alopecia areata, scalp infections, and trichotillomania, can cause hair loss.

• Nutritional Deficiencies: Deficiencies in iron, vitamin D, and other essential nutrients can lead to hair loss.

• Medications: Certain medications, such as chemotherapy drugs, can cause hair loss.

Impact Of Hair Loss In Women

Women often associate their hair with their femininity and beauty, and losing their hair can be devastating. Women with hair loss may avoid social situations and feel self-conscious about their appearance. They may also experience anxiety and depression, which can further exacerbate their hair loss.

Ways To Manage Hair Loss In Women

Fortunately, there are several ways to manage hair loss in women.

Please see “Hair Loss,” page 65

Depression and Hormones In Older Women

Submitted By Empowered Connections, LLC

A woman is two times as likely to experience depression than a man. Meanwhile, more than 10% of older adults experience depression. Therefore, it’s not a surprise that women between the ages of 45-64 are at a high risk of having a mood disorder during perimenopause and menopause. Hormones help regulate body functions that impact a woman’s mood. If this delicate process is out of balance, depression symptoms can appear.

How Shifting Hormone Levels Can Cause Emotional Reactions

The unexplained appearance of anxiety, sadness, and irritability could point to a decrease in serotonin. At the same time, should a woman experience a drop in testosterone levels, she’s also experiencing anxiety, sadness, and irritability. In addition, signs could include a reduced sex drive and low overall energy. All of the above could become the precursor to a depressive episode.

The Correlation Between Depression and Hormones In Older Women

During perimenopause – the time leading up to menopause – a woman’s reproductive hormones begin changing levels. This process is euphemistically called “going through the changes.” Perimenopause is when a woman’s menstrual cycle becomes decidedly irregular. This could refer to the cycle becoming less frequent, closer together, longer, or shorter, and more. The perimenopause process is believed to leave women more susceptible to being diagnosed with major depression. During this time, serotonin levels decline. Since this chemical is responsible for happiness and well-being, it makes sense that less serotonin causes one’s mood to be more depressed.

Simultaneously, hormones like progesterone and estrogen decrease. This combines with the side effects of lower serotonin to make women feel less able to handle stress that they’d previously manage with relative ease. All of these hormonal shifts can be responsible for sleep disturbances. Anyone experiencing poor sleep is at up to 10 times the risk for depression as someone with

healthy sleep patterns.

Another factor to consider is the time of life we’re discussing here. Women in their 40s and 50s have entered a life stage that could include empty nest syndrome, aging parents, financial/career problems, and new health concerns. It can be quite the recipe for depressive

episodes – especially if you’ve ever been diagnosed with depression in your life.

Menopause-Related Depression Can Be Treated

If you experience symptoms during perimenopause, talk with your doctors about them. Medical choices might include hormonal

medications like an estrogen patch, a low-dose oral contraceptive pill, and more. Meanwhile, there are medications commonly used to treat the symptoms of a depressive episode. An excellent starting point is to connect with an experienced therapist to learn more about this unique convergence of symptoms and factors.

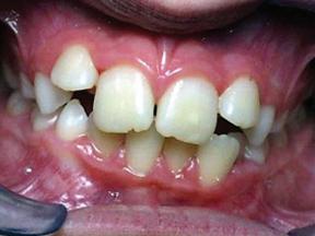
A Pediatric Dentist Guide To Choosing the Best Toothpaste For Kids

When it comes to our children, we all want what’s best for them, especially in their formative years. Oral health is no exception, and choosing the right toothpaste can play a pivotal role in setting them up for a lifetime of healthy smiles. This guide aims to provide an

in-depth comparison of different types of children’s toothpaste available on the market, helping parents make informed decisions for children aged 2 to 14.

1. Organic Vs. Non-Organic Toothpaste

• Composition: Organic toothpaste is made from naturally derived ingredients and avoids synthetic chemicals. Non-organic versions might include artificial components

for flavor, texture, and preservation.

• Sweetener: Organics typically use natural sweeteners like stevia or xylitol, while non-organics might include these or opt for artificial sweeteners.

• Pros of Organic: Free from artificial chemicals and dyes, often excludes Sodium Lauryl Sulfate (SLS), which can cause mouth ulcers.

• Cons of Organic: Generally more

Leading The Way In Pediatric Dentistry!

We provide expert pediatric dentistry to help your child improve and maintain oral health and hygiene, repair and address problematic teeth, and treat teeth, tongue and gum issues that require immediate attention. Partner with our Pediatric Dentist in Bethesda and Chevy Chase to help your child achieve lifelong oral health. Throughout life, good oral health has a very positive impact on your child’s general health, self-confidence, and discipline. We believe early positive experiences with oral health and hygiene – at the dentist and at home – set the stage for a life filled with good

and success.

expensive and may lack fluoride, crucial for cavity prevention.

• Pros of Non-Organic: Usually contains fluoride, providing a broader range of flavors and properties.

• Cons of Non-Organic : Potential inclusion of artificial colors and preservatives.

2. Fluoride vs. Fluoride-Free Toothpaste

• Composition: Fluoride toothpaste may contain sodium fluoride or stannous fluoride, while fluoride-free versions do not include this ingredient.

• Pros of Fluoride: Effective in reducing dental cavities and helping remineralize weakened tooth enamel.

• Cons of Fluoride : Risks dental fluorosis if swallowed regularly in large amounts by young children.

• Pros of Fluoride-Free: Safer for young children who can’t spit properly.

• Cons of Fluoride-Free: Lacks the anti-cavity benefits of fluoride.

3. Nanohydroxyapatite

• Composition: A calcium phosphate compound, an alternative to fluoride.

• Pros : Rebuilds enamel, reduces sensitivity, and is non-toxic.

• Cons : Less available and often pricier than fluoride toothpastes.

4. Charcoal-Infused Toothpaste

• Composition : Includes activated charcoal, purported to whiten teeth and remove stains.

• Pros : May help remove surface stains.

• Cons: Abrasive nature could wear down enamel, and long-term safety and effectiveness are unclear.

5. Flavored Toothpaste (Fruit, Bubblegum, etc.)

• Composition: Contains flavoring agents to enhance palatability for children.

• Pros: Makes brushing more enjoyable, encouraging regular use.

• Cons: Some flavors might be artificial.

6. Xylitol-Enhanced

• Composition: Contains xylitol, a natural sweetener with dental benefits.

• Pros: Reduces decay-causing bacteria and is less likely to cause cavities than sugary toothpastes.

• Cons : Typically more expensive than standard toothpaste.

To continue reading this article, please visit: https://yhm.news/BCCPD2

Get to know the local woman owned and operated business,

facility offers

services

Try one of our many yoga classes, Ridgely Retreat is one of the few studios that offers Avita Yoga which is designed to help release tension in the muscles with compression techniques.

If you need a more personalized experience for an injury we offer private classes. Privates are also a popular activity for groups; we have hosted bachelorette parties, baby showers and more.

With the cooler weather approaching it’s the perfect time to look into our aesthetics. We offer Facials, Microderm, Fraxel, Cutera Xeo and Microneedling. Consultations are free.

If you are feeling stiff try a massage, or book an acupuncture.

The team at Ridgely is here to make sure you have the best experience.

Featured Health

Karl A. Smith, DDS, MS

Meet Periodontist, Karl A. Smith, DDS, MS

Dr. Smith is a dentist who also specializes in treatment of gum disease, cosmetic smile enhancement procedures, and dental implants to replace teeth that are missing. Although no one likes to go to the dentist, he strives to make your visits as comfortable and pleasant as possible. He strongly believes that value and comfort is an important part of quality dental care. The right to choose a dentist and provider of care is an important freedom. Referrals from patients and friends of the practice are welcome. We also work closely on referral from your family dentist, but a referral is not required to visit our office. Everyone that is interested in keeping their teeth for a lifetime should see a periodontist for screening.

Dr. Smith’s colleagues describe him as a gentle, easy-going person that provides expert care to patients. People come from near and far to experience the comfort of his office and patient-oriented team. He has been consistently voted by his peers a Top Dentist in Washingtonian Magazine , and Northern Virginia Magazine

WHAT TO EXPECT ON A VISIT

WITH DR. SMITH:

Dr. Smith says that “From the first phone call you will be treated with care and concern for your unique dental condition. Every question you have ever had about your dental health will be covered as well as any financial considerations you may have. It is my goal to care for each and every person that comes through my doors and to exceed your expectations from a dental office. I promise to always give you honesty and accuracy when it comes to your treatment. I will never start treatment without your full knowledge, understanding, and acceptance of your condition.”

Degrees, Training and Certificates:

Doctor of Dental Surgery Degree from the University of California, Los Angeles 1981. General Practice in the U.S. Air Force Dental Corps.. Successfully completed three additional years of advanced training in the specialty of Periodontics, Dental Anesthesia and Implants in 1992 at the University of Texas Health Science Center, San Antonio and Wilford Hall USAF Medical Center. Retired from the U.S. Air Force as a Lieutenant Colonel in 1996. Fellowship in the Academy of General Dentistry and in DOCS, a sedation organization for dentists.

• Natural, safe, laser light energy is pulsed and absorbed by the subcutaneous tissue.

• Supercharges the body’s metabolism through ATP synthesis to burn fat as energy.

• Waste products are expelled from the body via sweat, urine and respiratory exhaustion.

• The body continues to burn fat for up to 4 hours after treatment.

• Collagen and elastin production is increased within the skin layers to rejuvenate and repair skin cells addressing cellulite, skin laxity and stretch-marks.

Featured Health Professionals

Local Professionals Empowering and Encouraging People To Live Healthier

Craig A. Smith, DDS

General Dentistry/ Family Dentist

Meet Craig A. Smith

Dr. Craig Smith is committed to health through dentistry, ensuring you have optimal oral health which contributes to your overall health and well-being.

Quality service, advanced technology and a passionate commitment to education means patients receive the best that dentistry has to offer.

Dr. Smith’s Philosophy: Always listen to the patient and in turn respond in an educational manner so that the patient will understand.

Degrees, Training, and Certificates: Doctor of Dental Surgery (D.D.S.) - Howard University College of Dentistry; 2 Year General Practice Residency; Chief Resident - Harlem Hospital Center (Affiliate of Columbia University); Certified Invisalign Provider

Professional Memberships: National Dental Association

Areas of Interest: All phases of dentistry - cosmetic, implant, crowns and bridges, root canals, veneers, preventive care, Invisalign and whitening.

Hobbies: Mountain biking, racquetball, golfing, and boating. My interests are to continue to deliver quality dentistry and to further reach out to the community to help to increase the peace.

Additional: Many patients do not understand the importance of a healthy mouth, as health problems could arise. I want to educate all of my patients on health through dentistry.

Sivakumar Sreenivasan, DMD

Oral and Maxillofacial Surgeon

Diplomate, American Board of Oral & Maxillofacial Surgery

DMD, MDS • OMFS, MD, PA

77 South Washington Street Suite #205, Rockville, MD

Meet Dr. Sreenivasan:

Dr. Sreeni came to the United States as an Oral and Maxillofacial Surgeon in the year 1990 and put himself through dental school again at Boston University and Oral and Maxillofacial Surgery residency at University of Medicine and Dentistry of New Jersey.

As an Oral and Maxillofacial Surgeon, Dr. Sreeni manages a wide variety of problems relating to the Mouth, Teeth and Facial Regions. He practices a full scope of Oral and Maxillofacial Surgery with expertise ranging from Corrective Jaw Surgery to Wisdom Teeth Removal. His passion is in implant surgery and he is well known for same day placement of implants following teeth removal be it for single teeth or a complete “makeover” (Smile in a day). He can also diagnose and treat Facial Pain, Facial Injuries and TMJ disorders and perform Bone Grafting and Sinus lift procedures.

Dr. Sreeni completed a residency in Anesthesiology at Mount Sinai Hospital, New York in 1994 and has worked as an Attending providing anesthesia services for children and adults in the ambulatory out-patient center of the hospital.

Dr. Sreeni is an Advanced Cardiac Life Support instructor with the Adventist group. He is also certified in Pediatric advanced life support and is very capable of handling emergencies that could possibly arise in the office. Dr. Sreeni’s staff are trained in assisting with IV Sedation/General Anesthesia within our state of the art office setting. Patients are continuously monitored during and after surgery. The goal of our office is to provide professional service with compassion and an understanding of the patients’ perspective.

Featured Health Professionals

Local Professionals Empowering and Encouraging People To Live Healthier

ThunderBird Dental Office

ThunderBird Dental Office, affectionately known as the ThunderBird, has been providing dentures and denture repairs for over 40 years. Our dental lab is on our premises which allows us to deliver same day repairs and relines. We also perform extractions for immediate dentures. Our service is prompt and personalized and our price is right, so come on in!

Meet Dr. Brent C. White, Jr.

Graduate of Howard University College of Dentistry in Washington, D.C.

Completed General Practice Residency At Saint Elizabeths Hospital in Washington, D.C.

Served as a Civilian Dentist at Ft. Meade Army Base, Ft. Meade, Maryland

Served as Clinical Director at Oak Hill Juvenile Detention Center, Laurel, Maryland

Member Of:

Meet Mary B. Alexander

Dr. Mary Alexander, periodontist, obtained a Bachelor of Science degree in Biology from the University of South Carolina and continued her education in dentistry at the University of Maryland School of Dental Surgery where she received her DDS degree. Prior to and during her dental studies, Dr. Alexander received funding and support from the National Institutes of Dental Research for her involvement in the periodontal research.

After obtaining her DDS degree Dr. Alexander spent one year at the Veteran’s Administration Hospital, in general practice residency focusing her training in the area of anxiety patient management. She then attended Harvard University and earned her clinical specialty in periodontics and a doctorate in medical science. Her doctoral research was focused in the study of bone function and metabolic disease of the bone.

Dr. Alexander received extensive training in dental implantology, periodontal plastic surgery, bone regenerative procedures and sedation dentistry. All aspects of Dr. Alexander’s training are incorporated in her periodontal practice assuring patient’s thorough and comprehensive periodontal treatment.

Featured Health Professionals

TMJ & Sleep Apnea Treatment

Dr. Brown’s practice focuses on TMJ, sleep apnea and orthodontics. This allows Dr. Brown and his team to provide individualized, focused care for patients dealing with these specific issues. Every day, his practice helps patients of all ages with facial development, sleep issues, chronic headaches, migraines, neck pain, movement disorders, and much more. His training also includes multiple disciplines involving the cranial bones in the skull, and the discs in the jaw joints. Through treatment, Dr. Brown is able to reduce these symptoms, align cranial bones, avoid extractions, and greatly reduce the need for traditional braces. His expertise allows him to identify issues early on which promotes proper facial development using dental appliances. If there is an internal imbalance, whether an adult or child, the body does not develop or function properly. When the cranial bones are lined up correctly, patients are able to function, sleep and generally live better.

With that in mind, the team at Sleep & TMJ Therapy takes a whole-body approach when treatment planning. They work hand in hand with physical therapists and osteopathic doctors for a better success rate. Dr. Brown is devoted to helping patients of all ages live a symptom free life.

Degrees & Certifications

Dr. Brown earned his degree from Georgetown Dental School and completed residencies with Emory University Hospital for Dental Sleep Medicine and the ALF Appliance Therapy Institute.

Outside the Office

When not seeing patients, Dr. Brown is a sought-after speaker. He has lectured all over the world, including D.C., Dubai, Seoul, London, Norway and Toronto. He has also been featured on Channel 9’s Good Morning Washington, several podcasts, and numerous magazines and journals.

Professional Affiliations

Dr. Brown is a diplomate of the American Academy of Craniofacial Pain, a member of the American Academy of Dental Sleep Medicine, American Academy of Gnathological Orthopedic, Academy of Integrative Pain Management American Dental Association, a Fellow of the American Academy of Craniofacial Pain, and Legacy Provider for the ALF Interface Academy.

Do you have TMD or Sleep Apnea?

TMD Symptoms: Noise in the jaw joints when opening and closing your mouth, difficulty chewing, limited opening, tender facial muscles, ear ringing, uncomfortable bite, jaw locking, headaches, migraines, dizziness, vision issues as well as pain in the jaw area which can radiate to the ears, head, neck, shoulders, and back.

Sleep Apnea Symptoms: Snoring, waking up gasping for air, feeling tired and irritable in the morning, difficulty controlling weight, concentration problems, morning headaches, episodes of not breathing, waking with a sore throat, forgetfulness and mood changes.

If you believe you may be suffering from TMD or Sleep Apnea, don't wait... Call today to schedule a consultation with Dr. Brown: 703-821-1103.

Dr. Washington-Plaskett completed her medical school training at Meharry Medical College in Nashville, TN. She completed her Internal Medicine training at Morehouse School of Medicine in Atlanta, GA. She went on to pursue her Cardiology training at Boston Medical Center in Boston, MA where she also decided to stay and complete an additional year of training in Interventional Cardiology. She is a native of Fort Washington, MD and was eager to come back to familiar roots to start her career as a Cardiologist.

Dr. Washington’s interest in medicine started early as both her parents were in the medical field. Her inspiration is derived from the sacrifice of her parents as well as countless other health care workers that dedicate their careers in service to others.

Her specific interests in Cardiology include coronary artery disease and prevention, women’s cardiovascular health, and health disparities. Coronary heart disease or disease of the arteries that supply the heart is highly prevalent in the US with an estimated 20.5 million Americans with the diagnosis. Among women, it is often difficult to recognize the signs and symptoms of a heart attack and can often get overlooked1

Dr. Washington looks forward to working with and delivering care to the patients within the southern Maryland area. She truly believes knowledge is power and arming patients with the knowledge and tools necessary to guide them through their journey to better cardiovascular health.

Featured Health Professionals

Robin R. Robinson, AuD

Meet Robin R. Robinson

Dr. Robinson founded Hearing Solutions Audiology Center to provide the excellence that patients deserve when it comes to their hearing health. With emphasis on diagnostics and aural rehabilitation with advanced technology instruments, Dr. Robinson has been practicing for over 20 years and is board certified by the American Board of Audiology. She received her doctoral degree in Audiology from the Arizona School of Health Sciences and her Master’s and Bachelor’s of Science degrees from Radford University in Virginia, graduating with Magna Cum Laude honors. As an audiologist, Dr. Robinson has worked for large medical hospitals as well as ENT specialists, but she enjoys the personalization and patient care she is able to provide in a private practice like Hearing Solutions. As a native Virginian, Dr. Robinson still enjoys outdoor activities such as boating and kayaking on the weekends. When Dr. Robinson and her husband aren’t attending their children’s sporting events, they can usually be found enjoying the waterways of Maryland.

Mara Holton, MD

Dr. Mara Holton grew up in Maryland and has practiced with AA Urology for more than a decade since completing her residency.

Dr. Holton earned her undergraduate degree from The University of Vermont before attending medical school at Temple University in Philadelphia. She then completed her general surgery internship and urologic surgery residency at University of Maryland Medical System. While in residency, Dr. Holton practiced the full breadth of urologic training and surgery. Additionally, while there, she spent a year doing research dedicated to interstitial cystitis / pelvic pain alongside leaders in the field.

In clinical practice, Dr. Holton treats all urologic conditions but has a special interest in female incontinence and pelvic floor dysfunction along with the noninvasive treatment of kidney stones. She is trained in the all of the most current and minimally invasive options to facilitate patients ability to recover from procedures quickly so that they can get back to their lives and families.

As the managing partner of her group, Dr. Holton has overseen the expansion of AA Urology over the past several years and is excited by the growing presence of the group while maintaining the practice ethos of compassionate care in our communities. She is also very involved in the advancement of independent physician practices as a critical resource for patients and participates in advocacy as a board member of national organizations, including the Large Urology Group Practice Association.

In her free time, Dr Holton enjoys traveling, hiking and spending time with her family and dogs.

Featured Health Professionals

Local Professionals Empowering and Encouraging People To Live Healthier

E. Taylor Meiser, Jr., DDS

Light Up Your Smile

Meet E. Taylor Meiser, Jr.

Degrees/Training: DDS, University of Maryland Dental School; General Practice Residency, San Diego Naval Hospital; Prosthodontics Residency, Naval Dental School, Bethesda; U.S. Navy Dental Corps Officer, Commander, USN, (retired).

Professional Memberships: American Dental Association, Maryland State Dental Association, Anne Arundel County Dental Society, Annapolis Dental Study Club, Chesapeake Implant Study Club, University of Maryland Alumni Association.

Practice Philosophy: To follow the “Golden Rule” in all aspects of professional dental care, providing outstanding quality dentistry in a caring, comfortable and comprehensive manner. Lighthouse Family Dentistry will “Light Up Your Smile.”

Dr. Pamela Soto, a small-town girl from Oklahoma, has transformed her passion for human anatomy and medicine into a distinguished career as a physical therapist in Bowie, MD. With a Doctorate in Physical Therapy and specialized training in orthopedics and women’s health, Dr. Soto is dedicated to improving the lives of her patients, particularly in the realm of pelvic floor health.

Dr. Soto’s journey into medicine was deeply influenced by her family’s experiences as Mexican immigrants. Motivated by the language and cultural barriers her parents faced in healthcare, she harnessed her bilingual skills to connect with patients from diverse backgrounds, ensuring they receive the compassionate care they deserve.

At Bowie Physical Therapy Associates, Dr. Soto excels in treating pelvic floor dysfunction, a critical yet often overlooked aspect of women’s health. Her expertise encompasses a range of conditions, from urinary incontinence to pelvic pain and postpartum recovery.

Through personalized treatment plans, Dr. Soto employs advanced techniques such as biofeedback, manual therapy, and pelvic floor muscle reeducation to help her patients regain strength, function, and confidence.

Dr. Soto’s commitment to women’s health extends beyond the clinic. She actively collaborates with obstetricians and gynecologists to provide comprehensive care, ensuring that her patients receive the best possible outcomes. Her dedication to continuous learning and her holistic approach to treatment make her an invaluable asset to the Bowie Physical Therapy team and the community she serves.

Featured Health Professionals

Local Professionals Empowering and Encouraging People To Live Healthier

Judy Yu, DMD, MBA

Meet Judy Yu

Dr. Judy Yu is an artist with a passion for perfecting smiles and boosting confidence. She is a true advocate of education. Dr. Yu strives to educate herself and her team in our ever-changing field.

She attended the Temple University School of Dentistry in Philadelphia, PA, where she received her DMD and was honored in the Temple University Gallery of Success. Her undergraduate degree, a B.A. in Chemistry, was attained at Goucher College in Towson, MD, where she was a Dean’s Scholar. She completed her Executive M.B.A. at Loyola University in Timonium, MD.

Dr. Yu is currently a member of the American Dental Association (ADA), Maryland State Dental Association (MSDA), the Academy of General Dentists (AGD), the Maryland Academy of General Dentists. She served as the Public Information Officer on the board of the Maryland Academy of General Dentists (MAGD). Additionally, she is certified in Forensic Dentistry through the Armed Forces Institute of Pathology at Walter Reed Medical Center and has served on the Maryland State Committee for Oral Cancer Awareness. Dr. Yu served on The Anne Arundel County Oral Task Force aiming to increase access to care for the adult population.

She is committed to the overall health of her patients and works with her team to educate clients about the importance of oral care and how the pathology in the oral cavity is directly linked to one’s general health, including periodontal disease and its relationship with heart disease.

A humanitarian at heart, Dr. Yu truly enjoys giving back to the community. She currently chairs the Northern Anne Arundel County Chamber of Commerce Health/Wellness Committee. Dr. Yu also chaired the McDonogh Parent Association’s Parent Education Committee. She was involved with the Healthy Anne Arundel Coalition to “Make Health Happen.” You will often find Dr. Yu volunteering for Missions of Mercy, donating dental services to the public or volunteering at her church by cooking for Heaven’s Kitchen.

Local Professionals Empowering and Encouraging People To Live Healthier

Tricia Caldwell Lamb

Dedicated and Compassionate, Tricia brings to Barjea Skincare a rich career in healthcare spanning over 20 years. Grounded in principles of integrity, quality, and stellar professionalism, she stands as a testament to committed healthcare service — an Air Force Veteran here to serve you in your skincare journey.

But Tricia’s approach goes beyond professional expertise. A personal experience stirs the soul of her practice. The studio’s name ‘Barjea’ is a heartfelt ode to her mother, BARbara JEAn, who fought bravely but succumbed to breast cancer in 2008. Inspired by her mother’s unyielding strength, Tricia emboldens her clientele who may be facing similar trials. Facing the trials of life, like Chemotherapy and Radiation, can take a toll on your skin. But remember, your skincare journey is never about mere appearance. It’s about resilience. It’s about honoring the strength inside you, reflecting it outside. Even as my mother’s skin transformed through her battle, she remained the radiant spirit she was, her strength shining through. You too can face such challenges and emerge stronger, carving your unique skin care journey. Invest in self-care, tend to your skin, and see how it mirrors your inner spirit. Turn your trials into triumphs; let skincare be your silent ally in your life’s battles. Start today and reclaim the glow that life tried to dull. You are stronger than you know.

Barjea Skincare isn’t just a skincare studio — it’s a beacon of care, empowering its clients to conquer their skincare challenges and shine in their unique beauty. Under Tricia’s proficient consultation, you’re not just receiving exceptional skin care services; you’re participating in a legacy of resilience and love.

Let Tricia guide you through your skincare journey at Barjea Skincare, transforming challenges into opportunities for growth. Connect with her today and start writing your own success story in skincare.

WE TAKE FSA/HSA AND AFTER PAY

Meet Deana Moody

Degrees/Training: Bachelor of Science, Ohio State University, Columbus, OH, Dental Hygiene, Pre-Dentistry; University of Maryland Dental School, Doctor of Dental Surgery, Baltimore, MD; Pete Dawson Center, Tampa, FL; Zimmer Institute

Professional Memberships/Associations: Academy of General Dentistry; American Dental Association

Areas of Interest: Preventative, Cosmetic, Endodontic and Prosthetic Dentistry

Practice Philosophy: To provide patients with state-ofthe-art treatment together with personal attention and compassionate care. My expertise and concern for my patients ensures that they receive effective care in a warm and friendly environment.

Our Practice: White Plains Comprehensive Family Dentistry welcomes you to their new practice in White Plains, MD. We offer complete dental exams and procedures for the entire family.

Whether you are having a dental emergency or it’s time for your yearly check-up, stop in and see our friendly and professional staff today.

Renee Bovelle, MD Ophthalmology

301-805-4664

12200 Annapolis Road Suite #116

Glenn Dale, MD 20769

EnvisionEyeandLaser.com

Meet Dr. Bovelle

Board Certified, Ophthalmology by the American Board of Ophthalmology

Degrees, Training and Certificates: UCLA Medical School; Yale University Hospital for Residency; Louisiana State University for Cornea and Refractive Fellowship

Professional Memberships/Associations: American Academy of Ophthalmology; American Society of Cataract and Refractive Surgery; International Society of Refractive Surgery

Areas of Interest: All laser custom LASIK; Cataract Surgery; Botox; Dermal Fillers; Cornea Comprehensive Ophthalmology

Practice Philosophy: Envision Eye and Laser is committed to delivering superior ophthalmic care with state-of-the-art technology and patient education in a caring, compassionate environment. We cater to a diverse population of adults and work with your primary care physician to improve the quality of your overall health and life. Your best vision is our focus.

Suzan Ebrahimi, MD

Training, Degrees:

• UCLA (University of California – Los Angeles)

– Internal Medicine Residency

• Georgetown University – Gastroenterology Fellowship

Dr. Ebrahimi specializes in the diagnosis and treatment of the digestive tract:

• SCREENING COLONOSCOPY

• Esophagus

• Stomach

• Small Intestine • Colon/Rectum

• Liver

• Nutrition

• Obesity

• Pancreas

• Weight Loss

• Hemorrhoids

• Gallbladder and Biliary Tree

• Gastrointestinal Malignancy

Meet Maureen Vernon

Dr. Maureen Vernon has been helping adults, children, couples, and families learn positive coping strategies to address their emotional needs. As a Board Licensed Psychologist for 25+ years, she continues to offer her services as a private therapist; divorce/ child custody evaluator and mediator; parenting coordinator; conducting forensic and abuse assessments; and conflict resolution consulting.

Degrees & Training: PhD in Psychology and Evaluation- Catholic University of America, Washington, D.C.; Master of Science in Counseling/Clinical Psychology- Loyola University of Maryland.

Professional Memberships: American Psychological Association; Maryland Psychological Association; Association of Family & Conciliation Courts; Professional Academy of Custody Evaluators; Anne Arundel County Psychological Association; Interests & Hobbies: Movies, college sports (Notre Dame & Villanova), her yellow lab Keenan, studying history, and travel.

Volunteer Highlights: Beans & Bread; Boy’s Town; St. Mary’s Annapolis; AA County Social Services Holiday Sharing; St. Vincent DePaul; AAMC Pediatric ER; and Backpacks for Kids.

Professional Statement: Life can be challenging and there are times when we could all use a little extra help…If you are feeling anxious, alone, struggling to manage all the demands of your life, or experiencing problems with your spouse, child, parent, sibling, friend, or coworker – you can trust that I will listen and offer the tools to improve those relationships.

ADVENTIST MEDICAL GROUP

PRIMARY CARE SERVICES FOR YOU

Choose Adventist Medical Group Primary Care in Fort Washington, Maryland, to provide a full range of primary care services for adults.

Learn to better manage your health and prevent illnesses with personalized care from our experienced, primary care providers. Our specialists in family medicine and internal medicine work as a team to deliver expert care when you need:

• Same-day Sick Visits

• Women’s and Men’s Health and Wellness Exams

• Health Physicals, Health Maintenance and Preventive Care

• Geriatric (Senior) Wellness Exams

• Vaccinations and Immunizations, including Flu Shots

• Health Management for:

• Asthma and Allergies

• High Blood Pressure

• High Cholesterol

• Diabetes

You also benefit from coordinated care that helps you effectively handle all aspects of your health—from preventive medicine and preoperative appointments to management of chronic health conditions.

• Heart Disease To schedule an appointment, please call 240-724-6018 10709 Indian Head Highway, Suite D1 Fort Washington, Maryland 20744 AdventistMedicalGroup.org

Ogechi Anyaoku, MD, MSPH (Internal Medicine)
Nicole Haskins, CRNP, RN (Family Nurse Practitioner)

The Marvelous Fallopian Tubes

The fallopian tubes, also known as uterine tubes, are a pair of slender, tube-like structures located on either side of the uterus. They are approximately 10–14 centimeters long and are lined with ciliated epithelial cells,

cells that have fine hair-like extension on their top surface. The fallopian tubes consist of several sections, including the infundibulum (the funnel-shaped end), fimbriae (finger-like projections), ampulla (the middle and widest part), isthmus (the narrow portion), and the uterine opening.

The primary functions of the fallopian tubes are vital for successful reproduction:

During ovulation, a mature egg is released from one of the ovaries. The fimbriae at the end of the fallopian tubes help capture the egg, drawing it into the tube.

The fallopian tubes provide an optimal environment for fertilization to occur. The cilia lining the tubes create a gentle current that propels the egg towards the uterus, while also helping to move sperm in the opposite direction. Think of the tube as a conveyor belt that is in constant motion to move the eggs and embryo towards the uterus.

The fallopian tubes assist in the movement of sperm towards the egg. Sperm can survive in the fallopian tubes for several days, awaiting the arrival of the egg.

Ovulation is the process in which a mature egg is released from the ovary. During this phase, the fimbriae sweep over the surface of the ovary, capturing the egg and guiding it into the fallopian tube. Once inside the fallopian tube, the egg begins its journey towards the uterus, aided by the coordinated movements of the cilia.

If sperm are present in the fallopian tubes at the time of ovulation, they can meet and fertilize the egg. This remarkable union typically occurs in the ampulla, the widest part of the fallopian tube. Once fertilized, the newly formed embryo continues its passage towards the uterus for implantation and further development. Although the fallopian tubes are designed for the journey of the fertil-

Where Science Meets Compassion

Our mission is to assist our patients in creating the families of their dreams, whether it be at the present or to maintain the possibility in the future.

Medical Director Dr. Famuyiwa, a double board certified fertility specialist and an advocate for personalized holistic fertility care, is at the forefront of providing state-of-the-art care based on emerging and advanced new technologies in the most compassionate of manners.

Janay Taylor, MSN, CRNP and Maurice Taylor, NREMT-P
Please see “Fallopian Tubes,” page 63
Yemi Adesanya-Famuyiwa, MD

Located in scenic Southern Maryland, Studio 5 Hair Gallery is well known in the medical community for customized solutions for hair loss. We provide the finest synthetic and human hair wigs, hair extensions, and top-of-the-head hairpieces. For over 12 years, Studio 5 Hair Gallery has served its clients with compassion and excellence. call 301.884.3553 for your appointment today! Please mention this Flier when setting up your appointment.

GWEN BEVERLY Owner, Medical Hair Loss Specialist

Psychiatric Rehab

Persons who have received a mental illness diagnosis, particularly one of a serious and persistent nature, have found psychiatric rehabilitation services beneficial in their recovery.

Recovery is believed to be a process based on readjustment of attitudes, feelings, perceptions and beliefs about self and others. The values represented in psychiatric rehabilitation are consistent, even intrinsic, to recovery. There are five key values that represent the practice of psychiatric rehabilitation: 1. Selfdetermination, 2. Dignity and worth of every individual, 3. Optimism, 4. Capacity for every person to learn and grow and 5. Cultural sensitivity.

Practitioners in psychiatric rehabilitation believe that everyone must be involved in decisions that effect

their lives. This self-determination is often referred to as empowerment. Empowerment is something that is developed within the person not something done to or for an individual. The recovery process is supported in psychiatric rehabilitation by providing information, options and resources.

Dignity and worth of every human being regardless of the degree of impairment is a core value of psychiatric rehabilitation. Although this statement is often used in many arenas, the persistent stigma directed toward those with a mental illness or anyone who appears different in some way does not indicate that it is practiced. There needs to be a consistent effort to maintain or restore dignity to those with a mental illness.

Optimism on the part of service providers can generalize to those receiving services. A positive attitude is catching. Words and actions of prac-

400 Potomac Street

A psychiatric rehabilitation program offering a day component, residential, vocational and in-home support services. Let us show you how to move from the solitude of symptoms to the freedom of achievement.

NOW OFFERING: Wellness and Recovery

Community Center - This is a program that provides support from peers for both mental health and substance use disorders for people actively working on their recovery.

Brain training allows your brain to see what it is doing and adjust and re-balance in response. Also known as neurofeedback, it is a non-invasive way to promote wellness and continued growth.

We are certified providers of NeurOptimal® brain training. With more than 20 years and millions of hours of use worldwide, NeurOptimal® is a safe, time-tested, and effective brain training system. Call or Email Us Today! Office sessions in Friendship Heights by appointment Visit www.BrainSpaNeurofeedack.com Call or Text: 202-480-0010 Email: BrainSpaMaryland@gmail.com

titioners that convey hope help those with an illness recover hope.

Inherent in this optimism is the belief that everyone can learn and grow. The presence of a mental illness does not eliminate learning and development of ways to achieve personal goals.

Mental illness knows no cultural or ethnic boundaries. Sensitivity to differences in cultures enables staff to assist those receiving psychiatric rehabilitation services to become better integrated into their community. It avoids staff assuming or making incorrect judgements.

The struggle to free those diagnosed with a mental illness from the role of a mental patient as a cultural

identity can be better won with respect for the individual and the particular culture.

These values are the essence of psychiatric rehabilitation. When they are used effectively, they are the basis for recovery. Indeed, the five values can provide the basis for all people to achieve emotional health.

Using Brain Waves To Teach the Mind To Stay Calm and Balanced

Many of us have heard about chemical imbalances in the brain. Indeed, drugs are prescribed to treat many mental health conditions. But did you know that our brain cells also use electricity to communicate?

When our neurons send electrical signals to each other, electrical energy is emitted from our brain. Scientists have been studying this brain activity for decades. Brain waves are measured by placing sensors on the scalp, and displaying the readings through a computer. It turns out that brains make different electrical frequencies depending on what functions they are doing at the time. Different waves are emitted when we sleep or daydream, when we study or think through problems, and when we’re calm or meditative.

of measuring and displaying brain activity in real time. It is similar to biofeedback, wherein people can change their body temperature or heart rate when they see readings from their own bodies. This feedback loop allows our bodies to change and adjust through conscious and subconscious effort. When the brain sees what it is doing, it self-adjusts. It can train itself to be more balanced, efficient, and resilient.

Over the years, studies of neurofeedback have demonstrated that showing the brain how it is working can help improve sleep, reduce worrying and rumination, and decrease feelings of stress. People who have tried neurofeedback report feelings of calm and focus. In addition, specific neurofeedback protocols have been developed for treating ADHD, PTSD, anxiety, depression, and seizures. Some people decide to try neurofeedback to reduce stress and improve sleep without resorting to habit-forming medications. And neurofeedback can be a valuable complement to traditional talk therapy for improved mental health.

A neurofeedback session is simple and can be quite relaxing. After having sensors placed on the scalp, the client relaxes in a comfortable chair as the computer reads the brain waves, like an EKG captures a heart’s electrical activity. The computer then communicates

Neurofeedback is the process Please see “Brain Waves,” page 66

Doesn't Your Child Deserve the Best?

Loving Care Pediatrics

Our Vision is

many others, please call the office at 301403-8808 to schedule a visit. We look forward to seeing you at Loving Care Pediatrics— Janet Johnson MD and Staff.

In addition, I am dedicated to volunteering my time to community outreach projects, youth groups, health fairs, various church functions and committee boards as well as for those who are less fortunate. Donating of my talents, time and treasures and giving back and serving those who are in need. I am an active member in The Prince George’s Community Advisory Group and served as the Medical Director for the Mid-Maryland Mission of Mercy two day free Dental Clinic sponsored by Catholic Charities Archdiocese of Washington in August 2013.

to be recognized in the community it serves for compassionate patient service, and clinical excellence. To create a caring environment with a commitment to foster a work environment where individual diversity is valued and recognized, also where the satisfaction of all patients regardless of their background is the fundamental goal of our every action, with the practice of medicine being recognized and honored as a uniquely noble pursuit.

Practice Philosophy Janet Johnson MD and Travel Health Medicine is committed to servicing its patients, parents and community by providing excellent and compassionate health care service to a culturally diverse population that promotes the dignity and well-being of the people we serve.

when the need arise. The practice is certified by the Prince George’s Health Department to administer Yellow Fever Vaccination. The practice provides vaccines for overseas travel to those individuals traveling out of the country and in need of an official certificate of vaccination (Yellow Book).

I make every attempt to ensure medical care to my patients is as convenient as possible. If your child becomes ill during the night you may contact the office via the answering service and speak with me for an emergent next day appointment. We also have same day appointments. Most insurances are accepted including: Aetna, Care first Blue Cross, Blue Choice, Amerigroup, Americhoice United Health care, Teamsters, Tricare, most government plans, Maryland Medicaid, self-pay, and

Vision Statement Janet Johnson and Travel Health Medicine goal is to be recognized in the community it serves for compassionate patient service, and clinical excellence. To create a caring environment with a commitment to foster a work environment where individual diversity is valued and recognized, also where the satisfaction of all patients regardless of their background is the fundamental goal of our every action, with the practice of medicine being recognized and honored as a uniquely noble pursuit.

Company Values Core Values

These core values bring to life our mission and place special demands on how we behave.

Teen Suicide

Teen Suicide Awareness and Prevention

Teenagers often grapple with thoughts of death, making it crucial to take suicide attempts seriously. The National Institute of Mental Health estimates that for every completed suicide, there may be as many as 25 suicide attempts that go unreported. Recognizing that a teen’s suicide attempt is a plea for help is vital in preventing future, potentially fatal attempts.

Several strong risk factors contribute to teenage suicide, including aggressive or disruptive behavior, substance abuse, and depression. These factors often intensify the turbulent emotions experienced during adolescence, fostering a sense of hopelessness and despair. Acknowledging these feelings as legitimate and offering support is critical in the battle against teen suicide.

Integrity: We are consistent and honest in word and deed. Commit to the highest standards of ethical conduct, respect, competence and safety.

Quality: We provide service excellence in meeting client expectations. We ensure commitment to excellence for our patient and communities.

Respect: We behave in a way that honors self and others. There is respect for diversity and individual differences. We embrace that diversity of individuals, ideas and expressions so as to achieve better multicultural understanding of our fellow man.

Teen suicide is a concerning issue that ranks as the third leading cause of death among teenagers. Every 17 minutes, a teenager tragically succeeds in taking their own life. These statistics underscore the gravity of the problem and emphasize the importance of understanding who may be at risk and how to offer assistance.

Access to firearms is another risk factor to consider, given that they are involved in over half of teen suicides. Limiting access to firearms and ammunition for teenagers expressing suicidal

Please see “Suicide,” page 61

The Ultimate Healing Restoring Body, Mind & Spirit

Collaboration: Cultivate positive relationships while embracing diversity.

Commitment: We demonstrate dedication to our work, personal development, the organization, the mission and the vision.

Accountability: We follow through and are answerable for our performance.

Stewardship: Serve society and our global community as well as manage our resources properly. Our Staff

Empowerment: Recognize individual strengths and encourage learning.

Energy Quantum Healing

Energy quantum healing operates on the principle that the body’s innate energy field extends beyond its physical boundaries, connecting with the Earth’s magnetic field and traversing various dimensions within the spiritual realm.

This method focuses on identifying and rectifying congested negative energy, facilitating the restoration of a harmonious flow of positive energy throughout the entire human energy system. By addressing imbalances and disturbances within this system, energy quantum healing aims to integrate the body, mind, and soul in order to foster holistic health and facilitating the healing process. Practitioners believe that resolving energy field disturbances can prevent potential physical manifestations of illness in the future.

Holistic Therapies

Meditation, sound immersion, aura, chakra balancing and healing exert a tangible impact on the body, constituting a form of vibrational medicine that may influence heart

rate, blood pressure, and brain wave patterns. Sound waves, in particular, emit vibrations that are thought to penetrate and interact with the physical body and its major systems, accessing the aura and chakra systems to alleviate spiritual blockages and alleviate tension and stress. Sessions incorporating meditation, sound immersion, and healing techniques have been shown to alleviate physical discomfort in certain individuals, as well as mitigate anxiety and depression, and address emotional imbalances and past traumas.

Keep in mind that these therapies are complementary and should be used in conjunction with conventional medical care.

Intuitive Guidance

Intuitive readings can offer an understanding of various life situations, shedding light on your life path, and providing guidance on aligning your goals with your destiny. Anticipate receiving insights aimed at addressing challenges and identifying opportunities. Gain clarity on personal growth and navigating life’s complexities, empowering you to make informed decisions and pursue positive changes.

Johnson;

Back pain is the second most common reason people visit physicians in the US, with neck pain close behind. The spine and adjacent tissues are pivotal in nearly all major bodily movements.

Chiropractic services are used most often to treat neuromusculoskeletal complaints, including but no limited to back pain, neck pain, pain in the joints of the arms or legs, and headaches.

Drug and Alcohol Testing also Available.

Since opening in 2003, Winters Chiropractic & Physical Therapy has remained dedicated to providing expert chiropractic, physical therapy, and DOT/CDL services. Our doctors provide tailored treatments that ensure you make the most gains at a comfortable, steady pace. The ultimate goal of any chiropractic or physical therapy program is to restore your physical health to its previous form. With our small practice, we have the advantage of maintaining personal relationships without compromising our ability to provide advance care.

their independence. Preventing falls can be as basic as decluttering living spaces and removing or stowing away hazards on floors and stairs. At the very least, one can secure throw rugs and electrical cords. If any balance or mobility issue is involved, moving about with a cane or walker is a must inside and outside the home.

Balancing Dependence With Independence

Pride can get in the way of a senior acknowledging they need to make changes. That’s where a caregiver, in collaboration with a physician or other trusted person, can encourage the senior to make the changes themselves. And there are adaptive tools, technology, and other services that can help.

• A senior may not see the need for a medical alert device or may object to its cost, but being able to inform loved ones and paramedics of an emergency can avert a lifechanging, even fatal, result.

• If the only thing keeping a senior from being more socially engaged is a lack of knowledge of or access to technology, such as FaceTime, then the caregiver might be able to set them up with the software or app

they need to connect.

• If it’s a transportation issue, the caregiver may be able to take an older adult to a senior center, mall, or event space to interact with others.

• A caregiver can sometimes be the companion the older adult needs, whether just talking, playing cards or board games, exercising, cooking, or sharing meals.

• If a senior has hobbies they can still enjoy, the caregiver should facilitate participation in them.

• If a senior has professional help in the home, the family caregiver can be an advocate for their loved one and work hand-in-hand with the care provider to ensure the best outcome and that the senior’s individual needs are met.

Let

a Senior Loved One Speak

Because empowerment is a state of mind, the caregiver must remember that the only way they can know what the senior wants is by asking. Affording someone the dignity to speak for themselves is empowering and will help build trust. The feeling of independence that follows, no matter how small or large, can boost mood, self-esteem, and confidence.

Hospice Chaplains Religion Linkers and Spiritual Cheerleaders

Say the word “chaplain” and many people immediately think of Father Mulcahey from the television series “M*A*S*H”: A religious man with a collar and a cross. Put the word “hospice” in front of “chaplain” and people imagine someone with holy water prepared to perform Last Rites.

Often, patients and families only think “religion” when a chaplain

calls to set up a visit. That is because spirituality is often confused with religion. To me, religion is often a communal collective in which a community of people find faithbased meaning. Spirituality is individual and personal. Religion is the structure which is informed by the spirituality. Spirituality is the spark that animates that structure.

Hospice chaplains are spiritual care providers. We offer a safe space for individuals to explore their personal hopes, fears, questions and concerns. We allow patients to reminisce so that they can review their lives and relationships. Our end goal is to help them find meaning and peace in their final days.

For many patients, religion is a part of that experience. With so many different religions, it is likely that a patient’s affiliation does not match that of their chaplain’s. It is our job to be a “linker.” If need, we can connect that person with members of their faith community. We have the knowledge and access to local resources to provide meaningful interventions to help them feel connected to their faith. We connect them to local pastors, imams, rabbis, priests, etc.

Finding out how to tend to a patient’s spirituality won’t necessarily be in a patient’s medical records. We have a lot to learn, often in a short time, so mostly we listen. We ask questions, and we listen. You are companioning them in a nonjudgmental, compassionate way as they journey through the end of their days.

Consider hospice chaplains as spiritual cheerleaders. We hope that by listening to and acknowledging a patient’s life story we can bring joy to their heart at an often scary time. I recall visiting one patient who was in her final hours of life. Something I said just struck her as very funny. She started laughing hysterically. She said to me, “I can’t believe I’m laughing on my death bed.”

I’ll never forget her face at that moment. It was such a sweet, sweet, joyful way to transition. It was a privilege for me to know her and to be there.

DO YOU SUFFER FROM THESE SYMPTOMS?

• Severe fatigue

• Low sex drive

• Difficulty losing weight

• Depression, mood swings

• Joint and muscle pain

• Headaches

• Dry skin, brittle nails

• Itchy scalp, hair loss

• Irregular periods, hot flashes

• PMS symptoms

• Sleep problems

• Difficulty tolerating cold

• Constipation

• Allergies

• Brain fog

• Puffiness in face & extremities CALL FOR A FREE CONSULTATION

Advanced Chiropractic Nutritional Healing Center Dr. Thomas Lo, DC

Food Sensitivity and Food Intolerance

What Is a Food Sensitivity?

Some health problems cause the same symptoms as food allergies, but are really food sensitivities. This can make it hard to know for sure whether you have a food allergy.

Food sensitivities can cause symptoms similar to allergies, but reactions are slower and milder. It can take hours or even days before symptoms appear.

Immunoglobulins A, G or M (IgA, IgG, IgM) are often involved.

Sensitivities may contribute to chronic conditions such as fibromyalgia, chronic fatigue, arthritis, depression, sinusitis, GERD (gastro esophageal reflux disease), migraines, irritable bowel syndrome, attention deficit disorder (ADD), rashes, lactose intolerance, and more.

Inadequate digestion or digestive disturbances like inadequate digestive enzymes or damaged intestinal walls with increased intestinal permeability are often involved.

Then What Is Food

Intolerance?

If your symptoms come from a food intolerance it means the immune system is not directly involved and reactions are not life threatening, though health and quality of life are usually affected.

The symptoms of food intolerance can be indigestion, bloating, fatigue, migraines, memory problems, toxic headache, constipation, and irritable bowel syndrome. Digestive symptoms usually predominate. A common intolerance is lactose in-

Please see “Food Sensitivity,” page 63

Understanding Fibroids, Abnormal Bleeding, and Endometriosis

Key Issues In Women’s Health

Women’s reproductive health is a complex field, with conditions like fibroids, abnormal bleeding, and endometriosis affecting many women globally. Understanding these conditions is crucial for early diagnosis, ef-

fective management, and maintaining overall well-being.

Fibroids

Fibroids, also known as uterine leiomyomas or myomas, are noncancerous growths that develop in or on the uterus. They vary in size and number, and while some women may be asymptomatic, others experience significant symptoms. Common symptoms include heavy menstrual bleeding, prolonged periods, pelvic pain, frequent urination, and complications during pregnancy.

The exact cause of fibroids is unknown, but factors such as genetics, hormones (particularly estrogen and progesterone), and lifestyle can influence their development. Treat-

The Growing Use Of Nurses

I am sure you have noticed that nurses are becoming more common in the medical field. More medical practices are relying upon nurses to do some of the functions which were previously only performed by doctors. These additional duties and responsibilities are to take the workload off the doctors as well as reduce costs to insurance companies. It has also been found that nurses can perform many tasks in dealing with patient issues. Presently, there are over 30 different types of nurses with varying levels

of education and experience that can determine the level of service needed. With our healthcare system becoming more cost-conscious, many are looking to have nurses perform more duties as well as reduce the workload on doctors.

As time goes on, nurses are becoming more educated and experienced. It can only be expected that nurses will perform more patient services in the future. While it is never expected that a nurse will perform a patient diagnosis or order a treatment plan, the use of nurses now and in the future is something that is positive for our healthcare treatment system. Thus, the next time you are in a doctor’s office, and you have an extended visit with a nurse, you can identify that these medical professionals are the future of patient care.

As always, Alexander and Cleaver provides a wide range of legal services and specializes in motor vehicle accidents. If you are in need of such services, please feel free to contact James Cleaver, Esq. at 301292-3300.

Prevent and Treat Osteoporosis

What Is Osteoporosis?

Bone loss is a natural part of aging in all people. But some people develop a disease called osteoporosis, and for them, bone loss is severe. Bones become fragile and break easily. Fractures can happen almost anywhere in the body, including the spine, hip, leg, pelvis, and wrist.

More women than men develop osteoporosis, but bone health should be a priority for both men and women.

Are You At Risk

For Osteoporosis?

Examine your heritage:

• Are you Caucasian or Asian? These two ethnic groups are more likely to develop osteoporosis than are other ethnic groups.

• Are you thin and petite? Because small people, women in particular, have less bone mass to begin with, they are at greater risk for the disease.

• Do you have older relatives who have

curvature of the spine (sometimes called “dowager’s hump”), loss of height, fractures, or chronic back pain? If so, you may have inherited a tendency toward osteoporosis.

Examine your personal health history:

• Have you passed menopause? In women, estrogen aids in the production of bone mass. At menopause, the amount of estrogen their bodies produce declines sharply.

• Have your menstrual periods stopped? Women who have had a hysterectomy, women who are highperformance athletes, and women who diet excessively or who have an eating disorder may stop having periods. These women have had a hormonal change that causes bone loss.

• Are you taking medicines that increase the risk of osteoporosis? The most common culprits are steroid medications and high doses of thyroid hormone. Long-term use of these medicines can cause bone loss.

Please see “Osteoporosis,” page 66

Inner and Outer Skin Beauty Via Light Therapy Patches

Women’s healthier options to enhance the integrity of their skin, our largest organ, is a $23 billion market in the United States. As the demand for organic and more natural options rises, one simple, affordable, cuttingedge wellness technology offers a bright light! Photobiomodulation (a 100-year-old healing modality) offers precisely that, stimulating your inner

physician with a 50-cent-size patch on the skin over particular acupuncture points. This natural approach to skin health and overall health, provides a safe and reassuring option for your wellness journey.

One great example is the sun hitting the skin, which signals the body to create Vitamin D. There is nothing one physically needs to do for this automatic bodily process to make a physical, organic change. On this same level, a patented organic nanocrystal technology within a patch picks up our infrared light. On specific acupressure points in the body, it then transfers light to energy flow. One patch, X39, is clinically proven to increase human GHK-Cu copper peptide, significantly increasing stem cells. Our stem cells are a billion strong at age 20, 250 million weaker by age 50, and by age 80, healthy stem cells decline by 95% to 50 million.

Please see “Skin Beauty,” page 65

At Kensington Pharmacy, in addition to having your prescriptions filled with speed and accuracy, you will experience one of the best services and notice the difference.

With 14 employees, Kensington Pharmacy gives a special attention to each customer that they deserve. Stop by and experience the difference.

Optimum Health for Life

Your Wellness Partner For Life Columbia, MD | 301-802-7745 | Lpenkala96@gmail.com

Feel your best self within the safe space of relaxation, allowing stress to melt away! Breath in calming essential oils to reset and realign your body, mind, soul connection.

Linda Penkala, Author, LMT, Holistic Healthcare Presenter, and Wellness Catalyst shares her passion and heart for holistic lifestyle choices through:

• Presentations

• Massage Therapy

• Aromatherapy

• Wellness Articles

• Breathwork for Healing

• Her book, The Pause to Relax Ladies for Robust Heart Health

CORPORATE OR COMMUNITY

PRESENTATIONS:

• Wise Self Care for Life

• Nine Pillars to Prevent Heart Disease

• Wise Heart Health for Women

• Navigating New Waters of Wellness

• Tapping with Essential Oils for Health

LIVE ZOOM PRESENTATIONS

• Mindful Meditation Massage (at night, pre-sleep)

• Mindful Massage and Stretching (at desk)

• Aromatherapy 101

• Essential Oils and Your Pet

• Wise Self Care for Life

• Wise Heart Health for Women

https://lifewave.com/lpenkala • Visit our new website! www.lindapenkala.com

@pausetorelax The Pause to Relax

Optimum Health for Life Linda Penkala

• Prescription Refills via On-line or Phone 24 hours a day

• Flu Shots, Shingles and Pneumavac Vaccines

• Prescription Plans including Medicare Part-D and Part-B, CVS-Caremark

• Transfer Of Your Prescriptions

• Compounding Specialists

• Wide Vitamin Selection

and Zeynep

• Blisterpacking For Assisted Living Facilities

• BOIRON Homeopathic Remedies

• Greeting Cards, Select Books and Gifts

• Wide Home Health Care Selection Wheelchairs, Canes, Walkers, Medical Legsupport, Arthritis and Sport Aids, Bath Aids

• Toys and Books for Children

• And More

HAPPY HOUR YOGA HAPPY HOUR YOGA

on “ZOOM”

Your Space, Your Energy, Your Sacredness Yoga on a more relaxed, deeper level at home.

Monday and Wed 10:30am-11:30am

Tuesday and Friday 6pm to 7pm

Wednesday Yoga Nidra Meditation 6pm to 7pm Yoga Saturday Morning 8:30am to 9:30am

Certified Astrologer – Charts interpreted for as little as $49. The Big 3: Sun, Moon, Rising Ascendant

Join Today – $59.00 Unlimited For the Month - includes meditation call for more information - 301-535-9787

Naturally Beautiful Skin

Beautiful skin is a result of the care given to self. We buy products to make our skin more beautiful and more radiant when in essence all we really need to do is to eat the right foods, drink fresh water, and get proper sleep and wash our body.

People have a tendency to stay up late at night and watch television or even read, that’s okay except what

Call for a Complimentary Consultation

Orthodontics for Adults & Children

We Specialize in: Damon Braces, Damon Clear, Invisalign, Invisalign Teen, Clear Aligner Therapy, STb (Lingual Braces), Insignia, Early treatment & growth modifications, and Minor Tooth movement for periodontal patients.

you are watching or reading affects the subconscious mind and we have a tendency to think or dream about what we have read or seen, and that can affect our sleep. When we are not getting proper sleep it shows up in our bodies, in our actions, in our words and on our faces causing us to look and feel tired. Eating the right foods has a lot to do with our skin as well. Meats, alcohol, and smoking show up on our faces, teeth, hair and skin.

Smokers can develop tiny, plentiful wrinkles over their top lip and tiny lines around the eyes more readily than non-smokers, due to inhaling and squinting to avoid smoke getting into the eyes.

The skin on the face can start to look like the texture of leather. The teeth can become brown and the breath smells like smoke. Eye drops, mints, breathe sprays and teeth whit-

Please see “Beautiful Skin,” page 65

What Is Gout?

your body. This may occur if:

• Your body makes too much uric acid

• Your body has a hard time getting rid of uric acid

If too much uric acid builds up in the fluid around the joints (synovial fluid/connective tissue), uric acid crystals form. These crystals are mainly formed as a result of a break down of purines found in the human tissue and many foods that we eat. These crystals cause the joint to swell up and become inflamed.

Colesville Road, Suite #301 • Silver Spring, MD 20910 www.smileconstructors.com • info@smileconstructors.com

8737 Colesville Road, Suite #301 • Silver Spring, MD 20910 www.smileconstructors.com • info@smileconstructors.com

Gout is a kind of arthritis that occurs when uric acid builds up in blood and causes joint inflammation. An estimated 5.1 million people in the United States live with gout.

Gout is the most common form of inflammatory arthritis that affects approximately three times as many men as women. The number of newly diagnosed cases has increased over the past 40 years.

• Acute gout is a painful condition that typically affects one joint.

• Chronic gout is repeated episodes of pain and inflammation, which may involve more than one joint.

Causes,

Incidence and Risk Factors

Gout is caused by having higher-than-normal levels of uric acid in

The exact cause is unknown. Gout may run in families. It is more common in men, in women after menopause, and those who drink alcohol. People who take certain medicines, such as hydrochlorothiazide and other water pills, may have higher levels of uric acid in the blood.

Most uric acid is carried through the bloodstream to the kidneys, which eliminate it from the body in the urine.

The condition may also develop in people with diabetes, kidney disease, obesity, sickle cell anemia and other anemias, leukemia and other blood cancers.

Symptoms of Acute Gout

• Symptoms usually involve only one Please see “Gout,” page 65

Can You Benefit From Braces?

If you believe the saying that “Your eyes are the windows to your soul,” then you should understand that your smile is the key to self esteem and confidence. Your mouth or smile sends messages to everyone you meet, good or bad. According to the American Association of Orthodontists (AAO), people often base first impressions about individuals solely on the condition of their teeth.

“This phenomenon was documented more than 30 years ago in a

study published in 1981,” says Dr. Don Joondeph past AAO president, “When the focus groups looked at the altered photos, unflattering terms such as ‘unattractive’ and ‘aggressive’ were used. However, when groups saw photos of the same individuals with a healthy, beautiful smile, they were more likely to view the individuals as ‘intelligent,’ ‘attractive’ and ‘a friend I’d like to have.’” Today’s image-obsessed world makes these results more accurate. “More than ever, young people and adults want to be perceived as healthy, attractive and appealing to their peers and others.” Dr. Joondeph believes that the first thing that people notice about young and adult patients is obvious: “The confidence and sense of self-esteem that comes with their healthy, beautiful smiles.”

An orthodontic check-up no later than age seven can identify potential problems in growing children and ensure that any future treatment is timed appropriately. For adults, an orthodontic consult may reveal that

Please see “Braces,” page 63

Immediate Mini Dental Implants

Mini Dental Implants have revolutionized dentistry with the introduction of a minimally invasive treatment plan for denture stabilization. These smalldiameter implants (around 2mm diameter) enable your dentist to broaden the spectrum of patients who can be treated.

The Mini Dental Implant Procedure is a much less involved process than the conventional dental implants. For this reason, the procedure can usually be completed in one simple dental appointment. In addition to saving time

in the dental office, you will have far less discomfort following this procedure due to the minimally involved dental procedure (usually requiring no surgical flaps or sutures). Because the mini dental implants are so time efficient, your dentist is able to perform these procedures at a fraction of the cost associated with the larger old style dental implants.

Benefits Of Mini Dental Implants

• Simple, gentle, non-surgical procedure

• Immediate results

• Restored confidence with speaking and eating

• Improved attractiveness of your smile

• Cost effective

• Anchoring for dentures or cemented crowns and bridges

• Preserves bone and facial structure

Denture Stability

Mini Dental Implants were developed to provide greater stability for you when you can’t withstand the rigors of conventional implant surgery,

Please see “Dental Implants,” page 65

Bun Ion

Physical therapy is often used to provide relief of the inflammation and bunion pain. Ultrasound therapy is a popular technique for treating bunions and their associated soft tissue involvement.

Orthotics

Shoe inserts may be useful in controlling foot function and may reduce symptoms and prevent worsening of the deformity.

When early treatments fail or the bunion progresses past the threshold for such options, podiatric surgery may become necessary to relieve

Hpressure and repair the toe joint.

Surgical Options

Several surgical procedures are available. Surgery removes the bony enlargement, restores normal alignment of the joint, and relieves pain.

A simple bunionectomy, in which only the bony prominence is removed, may be used for the less severe deformity. Severe bunions may require a more involved procedure, which includes cutting the bone and realigning the joint.

Article provided by the American Podiatric Medical Association.

ealtH y Sm I le

needs of each patient. Whether you’re undergoing a complex procedure or a routine dental treatment, your peace of mind is our priority.

Patient-Centric Approach:

At Total Dental Care, we prioritize your comfort with a patient-focused approach, offering amenities such as heated chairs with massage features, ensuring a relaxed experience. Our team is dedicated to fostering a positive dental experience, emphasizing

env I ronment

ment, what is available to you to influence your lifestyle practices? Are there healthy low-calorie foods available in the cafeteria or is everything loaded with calories and grease?

If you don’t like your cafeteria foods then are you able to leave the job to get something healthy and be back at work in time? Are you always on the road and simply grab lunch at the nearest fast food? Do you have the opportunity to take a walk or work-out at your job?

At the grocery store, are you more likely to see and buy fruits as you enter or are you more likely to see and buy chips and cookies? Is it easy to find healthy foods where you buy grocery?

From page 12

communication and education to empower patients in making informed decisions about their oral health.

Total Dental Care stands as a beacon of excellence in dental health, providing total solutions for patients seeking comprehensive, detail-oriented care. Experience the difference with our wide range of services and patient-focused approach, ensuring your journey to a healthy smile is seamless and satisfying.

a ll- on-Four

oral health. But perhaps the biggest surprise about the all-on-four is how quickly it can transform your life.

What’s The All-On-Four Dental Implant Procedure Like?

First, either local or general anesthesia will be administered.

Second, the dentist or surgeon will prepare your mouth for the implants, which involves removing your remaining teeth that are failing. They will then remove any diseased or infected tissue from your jaw and gums.

Next, they will insert the titanium screws into your jawbone. Most likely,

teen Su IcI de

thoughts is an essential safety measure.

Understanding warning signs is paramount, as studies indicate that four out of five teen suicide attempts are preceded by clear indicators. These warning signs encompass neglect of personal hygiene, physical complaints arising from emotional distress, declining academic performance, loss of interest in school and extracurricular activities, risky behavior, boredom, and more. Recognizing these signs

From page 16

they will place two implants toward the front of your mouth and two towards the back of your mouth so the “anchors” can evenly bare the force of the denture.

After the implants have been placed, they will thoroughly clean the surgical sites and suturing all the incisions. Then you’ll be taken to a recovery room where you can relax and take time to wake up from the anesthesia.

Schedule a consultation with an All-On-Four provider. It’s the best way to find out how dental implants can change your life.

From page 50

can be a life-saving intervention. Preventing teen suicide requires unwavering vigilance and support. It is imperative for guardians to convey love and support to teenagers, letting them know they are not alone in their struggles. Additionally, educating oneself about the signs of suicidal thoughts and feelings is crucial, as is seeking professional help when needed. Together, we can work towards reducing the devastating impact of teen suicide on our youth.

In your neighborhood, how likely are you to engage in physical activity or develop an exercise routine? Is there a park or gym close by? Is there a pool that you have access to? Is your neighborhood safe for the activities that you want to do?

How are the people around you living? Do they have healthy lifestyle practices? Do they support your weight loss efforts? Over time, your environment influences your weight either positively or negatively.

For effective weight management, it is important to evaluate your environment, make changes to your environment, or change the way that you interact with your environment.

tH yroI d gland

gain and puffiness. They may come to their doctor complaining they just feel lousy; women may complain that their menstrual cycle is disrupted or that they are having problems getting pregnant. Men and women may complain of low libido or weakness. Other symptoms include muscle weakness or pain.

Hashimoto’s thyroid disease is an autoimmune condition which causes inflammation and ultimately destruction of the thyroid gland, and is the most common cause of hypothyroidism. Many people have this and don’t know it. Beside traditional treatment with thyroid hormone, underlying causes such as celiac disease/gluten intolerance, leaky gut, selenium deficiency and possibly chronic viral issues can fuel this fire and should be considered and addressed where appropriate.

Treating low thyroid states is a

p regnant

• Promoting a healthier pregnancy.

• Managing symptoms of nausea.

• Shortening the duration of labor and delivery.

• Alleviating back, neck, or joint pain.

From page 19

somewhat controversial topic. The most common and accepted form of therapy is known as Synthroid, which is a synthetic form of T4 not exactly identical to human T4.

However, many people find their symptoms resolve only when they are treated with a combination of T3 and T4, most commonly known as Armour thyroid, though there are other types. There are also nutritional strategies useful in treating hypothyroid patients. Patients may experience symptoms of hypothyroidism when they are low in either iron, selenium, zinc, or iodine. Making sure levels of each of these are normal can help restore normal thyroid function. Removing gluten from the diet can be helpful as well

Aggressively looking for and treating thyroid problems can make an enormous difference in a person’s sense of well-being.

From page 23

• Reducing the likelihood of a cesarean delivery.

So, if you or someone you know is expecting a child and grappling with any of these issues, encourage them to pay a visit to a chiropractor.

Hormone tH erapy

hot flashes, vaginal dryness, sleep disturbances and osteoporosis. But a positive effect on aging skin is a serious bonus! And, according to Gynecological Endocrinology, there is potential for targeted estrogen replacement as a therapeutic option for long-term skin management in

From page 21

postmenopausal women. The bottom line: you can feel better, live better and even LOOK better with the help of bioidentical hormone replacement therapy. For more information about the many benefits of hormone replacement, talk to a bioidentical hormone specialist today.

dental H ealtH

self-esteem, ultimately contributing to social isolation and loneliness.

Medical Considerations

A significant 39% of individuals aged 65 and older report using five or more prescription drugs, a situation that can become more complex when multiple healthcare providers and pharmacies are involved. It is crucial for dentists to regularly review the medical history and current medications of aging patients.

Xerostomia (Dry Mouth)

Dry mouth affects approximately 30% of patients over 65 years old, with this number increasing to 40% among those over 80 years old. This condition can be triggered by more than 400 commonly prescribed medications and can lead to mucositis, cavities, cracked lips, and a fissured tongue. To combat this, it is recommended to stay hydrated by drinking water throughout the day while limiting alcohol and sugary or caffeinated beverages such as juices, sodas, and coffee.

From page

Dental Insurance Coverage

Surprisingly, half of seniors neglect to visit a dentist, with cost being the primary deterrent. Shockingly, around 70% of seniors lack dental insurance. Traditional Medicare does not cover routine dental care, and even Medicare Part A offers limited coverage for “medically necessary” dental benefits. Medicare Advantage plans with dental coverage often provide minimal benefits.

Tips For Maintaining and Enhancing Oral Health

• Brush your teeth twice a day using a soft-bristle toothbrush. An electric toothbrush may be advantageous for those with limited mobility.

• Floss daily to clean between your teeth.

• If you wear dentures or partials, remember to clean them daily.

• Opt for tap water, which contains fluoride to help prevent tooth decay.

• Regularly visit a dentist for checkups and dental care.

FallopI an tu Be S

ized egg, complications can arise. One such complication is an ectopic pregnancy, where the fertilized egg implants outside the uterus, most commonly in the fallopian tubes. Ectopic pregnancies can be dangerous and require immediate medical attention.

Diagnostic procedures can help identify any blockages or abnormalities in the fallopian tubes. Hysterosalpingography (HSG) is a common test where a dye is injected into the uterus and fallopian tubes, allowing X-ray imaging to evaluate their structure and function. Laparoscopy is another procedure that uses a small camera to examine the reproductive organs, including the fallopian tubes.

Various disorders can affect the fallopian tubes, such as blockages, infections, and tubal ligation (a permanent form of birth control). Fertility treatments like in vitro fertilization (IVF) can bypass fallopian tuberelated issues. Additionally, surgical interventions, such as tubal ligation reversal or tubal reanastomosis, can

Brace S

cosmetic dentistry, periodontal therapy, endodontic therapy, oral surgery or prosthodontic treatments are necessary. A team approach is necessary to assure that comprehensive treatment plans are recommended. There are really no conditions that can not be “treated” due to the complex nature and amount

F IBroI dS

ment options range from watchful waiting for smaller, asymptomatic fibroids to medications that regulate hormones and reduce symptoms. In severe cases, surgical interventions like myomectomy or hysterectomy may be necessary.

Abnormal Bleeding

Abnormal uterine bleeding (AUB) refers to any deviation from normal menstrual patterns, including heavy menstrual bleeding (menorrhagia), bleeding between periods, or prolonged menstruation. AUB can be caused by various factors, including hormonal imbalances, fibroids, polyps, and underlying medical conditions like thyroid disorders or clotting issues.

Diagnosing AUB often involves a comprehensive evaluation, including medical history, physical examination, blood tests, and imaging studies like ultrasound. Treatment depends on the underlying cause and may include hormonal therapies, nonsteroidal anti-inflammatory drugs (NSAIDs), or surgical procedures such as dilation and curettage (D&C) or endometrial ablation.

Endometriosis

Endometriosis is a chronic condition where tissue similar to the lining inside the uterus (endometrium) grows outside the uterus, commonly on the ovaries, fallopian tubes, and pelvic lining. This misplaced tissue responds to menstrual cycle hormones, causing inflammation, pain, and the formation of scar tissue (adhesions).

Symptoms of endometriosis include severe menstrual cramps, chronic pelvic pain, pain during intercourse, and infertility. The exact cause of endometriosis is unclear, but factors like retrograde menstruation, genetics, and immune system issues are believed to contribute.

Diagnosis is often challenging and may require laparoscopy, a minimally invasive surgical procedure. Treatment options include pain management with NSAIDs, hormonal therapies to reduce or eliminate menstruation, and surgical removal of endometrial tissue. In severe cases, a hysterectomy may be considered.

From page 46

restore fertility in some cases.

Maintaining the health of the fallopian tubes is crucial for optimal reproductive health. Any dysfunction or blockage in the fallopian tubes can lead to difficulties in conceiving. Regular check-ups and open discussions with healthcare providers ensure that any potential issues are detected and addressed promptly.

The fallopian tubes are truly remarkable structures that contribute significantly to the miracle of life. From capturing and transporting the egg to providing an ideal environment for fertilization, their role is indispensable in the process of reproduction. Understanding the importance of the fallopian tubes empowers individuals to take charge of their reproductive health and seek timely medical assistance when needed. Let us appreciate the marvels of the fallopian tubes and the intricate journey they enable towards creating new life.

Previously published on Medium.com

From page 59

of treatment needed. In some cases, straightening malaligned teeth can treat certain conditions you may not realize are related to your teeth, such as headaches, jaw pain and digestive problems. Make an appointment with an orthodontic specialist to see how you can benefit from treatment.

Food SenSItI v Ity

tolerance: difficulty digesting milk sugar resulting in symptoms like abdominal cramps and diarrhea. Insufficient lactase, an enzyme needed to digest lactose, is involved. Some people do not produce enough lactase. Pasteurization of milk destroys lactase and changes milk sugar into another form.

Some intolerances are due to food additives rather than a food. Common culprits are sulfites (inducing asthma in some people), MSG, aspartame, other artificial sweeteners, preservatives, yellow dye no. 5, artificial colors, and artificial flavors. Reactions always arise from individual susceptibilities.

While an allergic reaction is triggered by small amounts of a particular food, a food intolerance may occur only with a large amount of frequent consumption. Symptoms can be chronic or delayed by hours or

m ar I juana

Women are more likely to use cannabis in edible form vs. smoked form.

Some cautionary notes: Smoking clearly can damage lungs. Consuming edibles is safer, but new patients should take low doses to determine the effects. Cannabis today is about 10 times the potency of products of the 1970’s and 1980’s, and too much too soon may result in fall risks or

From page 54

a couple of days. Addiction to “offending” foods is common as they sometimes relieve symptoms for a while.

Far more people have food intolerances than true allergies. Most allergies involve shellfish, peanuts, tree nuts, fish, milk, eggs, wheat, or soybeans, but intolerances can involve any food. Do You Think You Have a True Allergy?

A study from Bastyr University has shown that a single person’s blood sent to a number of laboratories for food allergy testing had very different results depending on the lab the blood was sent to. Unfortunately, this kind of testing can be inaccurate. Nutritional Response Testing® can be used to analyze the body to determine the underlying causes of ill or non-optimum health.

From page 18

acute anxiety, sometimes even sending patients to the emergency room. Any cannabis dispensary should be well educated on their products and answer any questions you may have. Take time to explain what you hope to gain from cannabis and ask to be pointed toward products that may be helpful for you.

HEALTH DIRECTORY

ACUPUNCTURE

Eastern Medical Holistic Healing Center – Angel Wood – 240-7555925 – www.Acupuncture4Wellness. Webs.com.

West Annapolis Acupuncture –Brittney de Vicq, LAc, MAc – 410375-9716 – BrittneyAcupuncture. com – Annapolis, MD.

CHINESE MEDICINE & ACUPUNCTURE

Quansheng Lu, CMD, PhD, LAc – www.WholelifeHerb.com – 301340-1066.

CHIROPRACTIC

Kovach Chiropractic & Wellness Center – Alicia Kovach, DC – 410697-3566.

Effective Integrative Healthcare –Crofton 410-774-0644 – Millersville 410729-2200 – Lanham 301-577-6556.

DENTISTRY

Cosmetic Dental FX – Judy Yu, DMD, MBA – 410-360-0440 – www. DentalFXMD.com – Pasadena, MD.

Lighthouse Family Dentistry –E. Taylor Meiser, DDS – 410-224 4411 – Annapolis, MD.

Karl A. Smith, DDS – Waldorf, MD –301-638 -4867.

DERMATOLOGY

Hema A. Sundaram, MD – Dermatology, Cosmetic & Laser Surgery – 11119 Rockville Pike, Suite #205, Rockville – 301-984-3376 – Also in Fairfax, VA.

EYE CARE

McNelly Optical, Inc. – 410-263-2692 – www.McNellyOptical.com – Annapolis, MD.

FERTILITY

Montgomery Women’s Fertility Center – 301-946-6962 – MontgomeryFertilityCenter.com – Rockville, MD.

HEALTH AND WELLNESS

Taylored 4 Life Wellness, Inc. – Gregory Taylor, MS – 301-979-9010 – Taylored4LifeWellness.com – Largo, MD.

HOME CARE

At Home Care, Inc. – 301-421-0200 – AtHomeCareInc.com – Since 1977.

HORMONES

New Day Vitality Hormone Center – 410-793-5212 – Arnold, MD and Easton, MD – NewDayVitality.com.

HYPNOSIS

Toni’s Happy Hour Yoga and Holistic Wellness Center – 301-449-8664.

INTEGRATIVE MEDICINE

Alan Weiss, MD, Annapolis Integrative Medicine – 410-266-3613 – 1616 Forest Drive, Suite #3, Annapolis, MD 21403.

Taylor Integrative Health – Janay Taylor – 410-292-0483.

MEDICAL SPACE

Charles L. Feitel Company – 301-571-9333 – www.MedicalandDentalSpace.com.

MENTAL HEALTH SERVICES

Charles Co. Freedom Landing, Inc. –301-932-2737 or 301-870-3969.

House Calls, LLC – 301-346-6732 –CallingOnBeth@gmail.com – www. CallingOnBeth.net.

Luminox Healthcare Services – 240553-7970 – LuminoxHealth.com.

MRI

Washington Open MRI, Inc. – 6 Locations: 15005 Shady Grove Road, Suite #110, Rockville, MD 20850; 6196 Oxon Hill Road, Suite #110, Oxon Hill, MD 20745; 5530 Wisconsin Avenue, Suite #529, Chevy Chase, MD 20815; 25 Crossroads Drive, Suite #180, Owings Mills, MD 21117 – www.WashingtonOpenMRI.com – 301-908-8279.

NEUROLOGY

Charles C. Reel, MD – Maryland Gait and Balance Disorder Center – Charlotte Hall, MD – 301-290-0395.

NUTRITION

Nutritional Healing Center – Thomas K. Lo, DC, MA – 240-651-1650 – 7310 Grove Road, Suite #107, Frederick, MD 21704 – DoctorLo.com

Good Health Nutrition Services,LLC – 1300 Mercantile Lane, Suite 12937, Largo, MD 20774 – 301-3414680 – www.ghnutritionservices. com – Dr. Florence Omerennah – Registered Dietitian/Diabetes Educator – We accept Insurance.

ORTHODONTICS

Jacqueline Brown Bryant DDS, MS, PC – Damon, Clear Braces & Invisalign for Adults And Children – Silver Spring, MD 20910 – www.SmileConstructors.com – 301-587-8750

PAIN MANAGEMENT

Georgetown Pain Management – Netsere Tesfayohannes, MD, ABA, ABAP – 301-718-1082 – 8120 Woodmont Ave., Ste 560, Bethesda, MD – 7300 Hanover Dr., Ste 204, Greenbelt, MD.

PAIN MANAGEMENT

Newbridge Spine and Pain Center – 301-638-4400 – www.NewbridgeSpine.com.

PAIN MANAGEMENT

Metropolitan Pain & Spine – Dr. Levi Pearson, III, MD, MBA – 9501 Old Annapolis Road, Suite #305, Ellicott City, MD 21042 – www.MetropolitanSpine.com – 410-772-6312.

Pain & Rehab Center, LLC – Dr. Gelareh Naenifard, DC – 5855 Allentown Road, Suite #19, Suitland, MD 20746 – www.PainRehabCenterMD. com – 301-925-2013.

PODIATRY

Bowie Foot Care – Howard Horowitz, DPM – 301-464-5900.

Largo Foot and Ankle Health Center – Ade Adetunji, DPM – 301 386 5453.

PRIMARY CARE

Loving Care – Janet Johnson, MD – Hyattsville, MD – 301-403-8808.

SENIOR CARE

Chevy Chase Home Care. Help at a time you need it most. Any Ages. Any situations. Any shifts. MD, DC, VA – www. CHCHHomeCare.com – 202-374-1240.

St. Mary’s Nursing & Rehabilitation Center – 301-475-8000 – Leonardtown, MD – www.StMarysNursingCenter.com.

SPA (MEDICAL)

Luminox Healthcare Services – 240-5537970 – LuminoxHealth.com.

Millennium MediSpa – 301-652-9005 – www.AnythingCosmetic.com.

VETERANS

Charlotte Hall Veterans Home – 301884-8171 – Waldorf, MD. WEIGHT LOSS

The Bariatric and Hernia Institute –Dr. Etwar McBean – 240-206-8506 – www.TBHInstitute.com.

YOGA

Toni’s Happy Hour Yoga and Holistic Wellness Center – Toni Greene, Owner – 301-449-8664.

301-805-6805

HypnotH erapy

automatically instills calmness and relaxation. When we are stressed, the body produces cortisol, which can lead to acne and dullness. A calm mind promotes better blood circulation and cellular regeneration, allowing our skin to thrive.

Beautiful thoughts can translate into beautiful expressions. When we use hypnotherapy to cultivate a positive mindset, our inner beauty radiates outward, enhancing our appearance.

Hypnosis can help individuals reprogram negative often habitual thought patterns like anger, selfdoubt, grief, worry, sadness and pessimism; allowing for more uplifting and positive self-talk. This transformative process can lead to improved self-esteem and body image, which in turn enhances how we express ourselves physically.

Smoking is beauty’s nemesis because it causes premature signs of

From page 17

aging like wrinkles. And of course, it is common knowledge that Hypnosis can help you quit smoking. Hypnosis can also reduce or eliminate insomnia so you can get your “Beauty Sleep”.

Yet, some might say that at the heart of beauty lies self-confidence. Believing in one’s own beauty is crucial to enhancing physical appearance. Confidence influences how we carry ourselves, how we engage with others, and ultimately, how we are perceived.

Hypnosis can be a powerful tool in promoting beauty from within and creating and maintaining a healthy lifestyle. This can lead to greater beauty through improved self-care, fitness, stopping smoking, and more restful sleep. Hypnotherapy really can make beauty happen: create a new more beautiful inner you, get your “Beauty Sleep”, and give you the motivation you need to take care of your physical body.

BeautIF ul Sk I n

eners are used to mask the abuse we have done to our bodies.

Foods such as meat, not just red, but white meat (pork), has a slow digestion rate in the body. That can cause the skin to look tired and pale, because of the sluggish digestion and removal from the bowels. Proper digestion, fresh foods, fresh water, proper sleep, regular bowel movements, at least 2-3 time a day, has a profound effect on the skin and smile.

To have beautiful skin and a

From page 58

beautiful smile eat fresh, get proper rest, quit smoking, and drinking in excess, have regular bowel movements and remember “You are what you eat”, so eat fresh and whole foods, fruits and green vegetables. Try avoiding synthetic products on the skin and body. Take the time to wash your body, oil your skin (body), brush your teeth and keep smiling. Rubbing in natural oils massages the skin and it helps to keep the skin not only looking healthy but it is healthy.

dental I mplantS

don’t have enough bone to allow for full-sized implants to be placed, or are seeking an option with a lower cost than traditional implant treatment.

Mini Dental Implants consist of a miniature titanium alloy implant that acts like the root of your tooth and a retaining fixture that is incorporated into the base of your denture.

The head of the implant is shaped like a ball, and the retaining fixture acts like a socket with a rubber O-ring. The O-ring snaps over the ball when the denture is seated and holds the denture firmly in place.

When seated, the denture gently rests on the gum tissue. The implant fixtures allow for micro-mobility while withstanding natural lifting forces.

Placement of the implants can usually be done during a two-hour appointment in your dentist’s office with local anesthesia.

Missing Teeth Replacement

Sk I n Beauty

To date, many looking for invasive stem cell therapy may have to travel abroad, costing anywhere from $5,000 to $25,000 per treatment, with a series of them usually suggested. The result is that this therapy only has a 30% proliferation or reproductive rate post-injection. With those statistics and extreme pricing, a better outcome with less expense becomes viable. The Life Wave x39 patch is less than $100 monthly with clinical studies, a patent, and scientific resources to back this technology.

Over decades in the health and wellness field, I have shared and applied quite a few added modalities, from ancient (essential oils) to cuttingedge modern tools (phototherapy patches), for the benefit of clients. To offer a non-transdermal, drug and

H a I r loSS

Here are some options:

• Hair Transplants: Hair transplants involve taking hair from one part of the scalp and transplanting it to the balding area.

• Wigs and Hairpieces: Wigs and hairpieces can provide a quick solution to hair loss, and they can be customized to match the natural hair color and style.

• Lifestyle Changes: Eating a balanced diet, getting regular exercise, and managing stress can help

gout

From page 59

Mini Dental Implants have been used for many years to hold denture plates into position, providing patients with the ability to eat, smile and speak with comfort and confidence.

Today, use of this non-surgical mini dental implant technology has been expanded for anything from replacing a single tooth to full mouth restoration. Thousands of implants have been placed with over a 95% success rate using these cost effective procedures.

The entire process consists of a consultation visit to your dentist with Xrays and impressions being taken. Then, at your second visit the mini implants can be placed. In about 30 minutes, a single tooth can be replaced without the need to grind down healthy tooth enamel.

This same procedure can be used to replace multiple missing teeth usually in about an hour. You can walk out ready to enjoy the foods you wish, without the long healing times and higher costs associated with conventional implants.

chemical-free patch that helps lower pain and inflammation is a gift. Having them at my fingertips for clients is invaluable and one simple, affordable application for healing. ( Lifewave Light Therapy)

As women age, skin changes and may become thinner and less elastic, dryer, and show visible veins or wrinkles. These may be the result of lifestyle choices such as sun exposure, unhealthy diets, no exercise, smoking, and alcohol, along with the devastating effects of unchecked stress. To promote healthy skin and beauty from within, reach for choices that are simple, easy on the budget, and exceptional in the outcome. Graceful aging, as you look and feel confident, can bless you in the years to come!

From page 28

promote hair growth.

• Hair Care: Using gentle hair care products, avoiding tight hairstyles, and limiting the use of hot styling tools can help prevent further hair loss. Hair loss is not a one size fits all problem. It is essential to identify the underlying cause of hair loss to determine the best course of treatment. With the right treatment and management, women can restore their hair and regain their confidence. If you are experiencing hair loss, speak to a hair care professional to determine the best course of action.

or a few joints. The big toe, knee, or ankle joints are most often affected.

• The pain starts suddenly, often during the night and is often described as throbbing, crushing, or excruciating.

• The joint appears warm and red. It is usually very tender (it hurts to lay a sheet or blanket over it).

• There may be a fever.

• The attack may go away in a few

a lzH eI mer’S

referred to as the “second brain” due to its influence on mood, cognition, and overall brain function. Gut health is deeply linked to the lymphatic system, with about 1/3 of the body’s lymphatics located in the abdomen. A healthy gut supports the lymphatic system’s ability to process and remove toxins, reducing inflammation and promoting better brain health .

Poor gut health can impair lymphatic function, leading to a buildup

days, but may return from time to time. Additional attacks often last longer. After a first gouty attack, people will have no symptoms. Half of patients have another attack. Some people may develop chronic gout. Those with chronic arthritis develop joint damage and loss of motion in the joints. They will have joint pain and other symptoms most of the time.

From page 24

of toxins that can affect both the gut and brain. Supporting gut health with a nutrient-rich diet, hydration, and exercise can enhance lymphatic flow, promoting clearer thinking and reducing the risk of cognitive decline.

This Alzheimer’s Awareness Month, consider adding lymphatic massage and gut health practices to your wellness routine to support brain function and long-term cognitive health.

Acupuncture and Seasonal Depression

As summer fades into the fall and winter approaches, numerous people dread the cooler temperatures and

longer nights. This change in seasons can have a profound psychological effect on many and often brings about seasonal depression. This seasonal depression can show up as lower energy and motivation and physical symptoms such as lower immunity, arthritis pain, and frequent colds and flus. It is more prevalent in young adults and women.

treat health coNcerNs with acupuNture • ASTHMA

• CHRONIC FATIGUE

• DEPRESSION • BACK PAIN • JOINT PAIN

STRESS

Now acceptiNg aetNa, aNd Blue cross/care First. practiciNg iN MarylaNd siNce 2004. 703 GiddinGs Avenue suite u3, AnnApolis, Md 21401

The holiday season between Thanksgiving and New Year’s is often jam packed with social and work obligations. This can often stress and overwhelm people during the longest and darkest days of the year, even more if you are suffering from seasonal depression.

There are ways to manage this stress and actually enjoy the long, dark days of the winter season. Acupuncture and Chinese herbs can be useful to manage these seasonal symptoms. These modalities can help to balance the physical and emotional symptoms in an effective manner

Bra I n Wave S

with little to no side effects.

A personal consultation with a licensed and experienced acupuncturist can pinpoint the areas of imbalance that are triggering seasonal depression and associated issues. Often, these issues can be addressed and treated with acupuncture, herbs, as well as lifestyle changes such as diet, exercise, and meditation to name but a few.

If you have suffered from seasonal depression in the past, or are currently exhibiting symptoms, now is the time to act to keep the “winter blues” away, and enjoy the holiday season.

From page 48

range of brain waves efficiently. Brain training is client-led. Clients decide how often and for how long they want to do brain training. Most people benefit from weekly sessions for 10 to 20 sessions. Over time, the brain learns how to rebalance by itself.

the brain waves back to the person, through music, images, or a video game. At Brain Spa Neurofeedback, we use a non-invasive neurofeedback protocol called NeurOptimalTM. This protocol provides feedback through music. The brain picks up changes in the music that indicate that the brain has shifted into different waves. The brain can train itself to be more flexible, or shift and adjust to be more efficient. The overall goal is for the brain to learn to use the entire

Anyone and everyone can benefit from brain training. In our busy and stressful world, brain training can help us be more calm and resilient in our lives, at school, and at work.

o SteoporoSIS

Examine your lifestyle:

• Smoking is linked strongly to bone loss.

• Calcium helps build and maintain healthy bone mass, and your body needs vitamin D to be able to use the calcium in your diet.

• Alcohol intake can reduce the amounts of calcium and vitamin D in your body.

• People who are confined to bed or who must wear a cast for a long time lose bone mass from lack of use. The same is true for people who do not get enough exercise in their daily lives.

Osteoporosis Is Preventable

Whether your risk of osteoporosis is high or low, lifestyle changes to prevent the disease are good for everyone.

• Eat foods that are high in calcium. Milk and other dairy products, calcium-fortified fruit juice, dark green leafy vegetables, almonds, and salmon are all good sources of calcium.

• Eat foods that help your body absorb the calcium in your diet. Fortified milk and fatty fish are good sources of vitamin D, which your body needs

to be able to absorb calcium.

• Talk to your doctor or pharmacist about taking a calcium supplement. The NIH recommend these levels of calcium intake:

• 1,000 milligrams per day for 25-49-year-old premenopausal women and for 50-64-year-old postmenopausal women who take estrogen.

• 1,500 milligrams per day for 50-64 year-old postmenopausal women not taking estrogen and for all men and women over age 65.

• Make sure you get 30-60 minutes of weight-bearing exercise each week. Talk to your doctor before you begin any exercise program.

• Just 10-15 minutes of sunshine 2-3 times a week provides all the vitamin D needed.

Medications To Prevent and Treat Osteoporosis

Getting exercise and taking calcium and vitamin D are the first steps in osteoporosis prevention. For some people, a medication also may be necessary to help prevent fractures. Your doctor will prescribe the medication.

Our Care for You Is More Than Skin Deep…

Your skin is the largest organ in your body and, together with your hair and nails, the mirror of everything that’s happening internally. After over twenty years as a fellowship-trained, Board Certified dermatologist and as a cosmetic surgeon, I am completely convinced of the positive effects of integrating medical and cosmetic treatments to balance how you look with how you feel. When that balance is missing or has been lost with age, how we look doesn’t represent who we really are inside. Others may assume that an older, stressed or worried appearance means a lack of ideas, energy and creativity. This impacts us both personally and professionally. The greatest joy of my profession is restoring the inner-outer balance for the women and men who consult me. They find it an exhilarating experience to look in the mirror, and love the reflection that’s looking back.

My team and I offer you breakthrough technology, advanced science and true artistry in a warm, compassionate and emotionally intelligent environment. We stay on the cutting edge, serving as national research and training centers - in many cases, the only centers in the mid-Atlantic and East - for expert treatment of skin, hair and nail conditions and state of-the-art techniques including lasers, fillers, Botox, fat grafting, platelet-rich plasma (PRP), chemical peels, liposuction and body contouring and vaginal rejuvenation.

My mission in my North American and global research is to elucidate the scientific basis of new and emerging technologies, and how this science can be applied to achieve the best and safest procedural outcomes. As a Principal Investigator for studies of new technologies, a national and international teacher of dermatologists and plastic surgeons, and one of a handful of experts serving as an advisor and director of advanced medical education programs, I’m confident that you will achieve the best possible results when you entrust your face and body to our hands. As a daily practitioner of yoga, I understand the value of a holistic approach. Above all, my team and I promise to give you straight answers. We’ll steer you through the hype and jargon, and help you restore the inner-outer balance that empowers us in every aspect of our lives.

Dr. Hema Sundaram, MA, MD, FAAD • Board Certified in Dermatology

• Fellow and Visiting Professor for the American Society for Dermatologic Surgery (ASDS) • Fellow of the American Academy of Dermatology.

• Premier medical training at Cambridge University (England), University of Chicago and NIH.

• Internationally recognized physician teacher, researcher and author.

• International Speaker and Course Director at Dermatology and Plastic Surgery Academies.

• International Physician Trainer and Advisor.

• North American Chairperson of the Global Aesthetics Alliance and Global Aesthetics Consensus Group for Procedural Safety.

• Author of book chapters and scientific papers in plastic surgery and dermatology academy journals.

• Author of “Face Value: The Truth About Beauty and a Guilt-Free Guide To Finding It” - selected for the National Press Club Authors’ Night.

• Quoted as an expert in leading publications including The New York Times, USA Today, Prevention, Good Housekeeping, Allure, Marie Claire, Essence, Cosmopolitan, Self and Woman’s World.

• Medical Advisor to Fitness magazine and for tv and radio shows.

• Charities supported include Skin Cancer Foundation, Breast Cancer Awareness and The Leukemia & Lymphoma Society.

Hema Sundaram, MA,

Turn static files into dynamic content formats.

Create a flipbook
Issuu converts static files into: digital portfolios, online yearbooks, online catalogs, digital photo albums and more. Sign up and create your flipbook.