Maryland October 2024

Page 1


Rami Makhoul, MD and Matthew Skancke, MD

The mission of the Washington Open MRI is to provide the highest quality diagnostic imaging with the most patient comfort in a professional environment. Our vision at Washington Open MRI is to bring greater awareness of the unique capabilities of our Stand-Up/Sit-Down positional MRI.

We were the World’s First positional MRI center, and only available at Washington Open MRI. This unique technology provides MRI results that ARE truly superior to all others available today.

We have been providing this unique experience for our patients in a non-claustrophobic environment for almost 30 years, and for most patients, you can watch TV during your MRI scan!

Healing Your Mind, Body, & Soul

Zen Well Studio is an inclusive, one-stop health and wellness haven dedicated to providing our communities with essential tools necessary to promote healing of the mind, body, and soul. We curate Soul Care Sessions by using a variety of approaches including activation coaching, laser skin care, yoga, sound healing, Reiki, IV Hydration and Employee Wellness Programs and more. Schedule your free 30-minute consultation to see how our team can help you achieve overall health.

List of Services: • Corporate and Community Health & Wellness Programs • Senior Living Wellness Programs • Health & Wellness Coaching • Biometric Screening • IV Hydration Therapy • Vitamin Injections • Aesthetics • Guided Meditation • Sound Healing

• Reiki Energy Healing

• Yoga + Pilates Mat/Reformer

In This Edition…

The articles below are provided by local health professionals for the benefit of the public. Please contact them for advice and services.

7 | Five Tips For Timeless Skin Health and Beauty | By Hema Sundaram, MA, MD, FAAD

8 | Detecting and Preventing Urologic Cancers | By Kari Bailey, MD

10 | October Is Breast HEALTH Awareness Month! | By Tammy Leiner, Certified Clinical Thermographer

11 | Cancer and Periodontal Disease | By Karl A. Smith, DDS, MS

12 | Your One-Stop Solution For a Healthy Smile | Submitted By Total Dental Care

13 | Gallstones: A Common Cause For Abdominal Pain | By Etwar McBean, MD, FACS

13 | How Long Do Burn Injuries Last? | By Paul Samakow, Attorney

14 | Why TMJ Technology Is So Important | By Jeffrey L. Brown, DDS

16 | Colon Cancer Risk Reduced 38% In Women Using HRT | Submitted By New Day Vitality

18 | There Is No Health Without Mental Health: A New Model | By Evan Taff, Owner

18 | Who’s At Risk For Colon Cancer? | Submitted By Gastro Center of Maryland

19 | How New Tech In the Dental Office Benefits You | By Judy Yu, DMD, MBA

21 | Cancer: Improving the Odds | By Alan Weiss, MD

23 | Ovarian Cancer Prevention | Submitted by DeCesaris/Prout Cancer Foundation

24 | All-On-Four Dental Implants | Submitted By Sivakumar Sreenivasan, DMD, MDS

25 | How Cannabis May Help With Cancer | By Sharron Sample, CEO

26 | The Truth About Hypnotherapy | By Janis KC Jarvis, MA, MHt, CLC

27 | What Is a Hammertoe? | By Howard Horowitz, DPM

27 | Cancer and Chiropractic Care | By Alicia Kovach, DC

28 | Independence Beneficial To Health For Older Adults | Submitted By Right At Home

28 | COVID-19 and Traffic Safety | By James A. Cleaver, Esq.

29 | Contraception and Pregnancy Prevention: Key To Women’s Health | By Ashley Pimperl, MSN, CRNP

30 | A Journey Of Healing | Submitted By Elon Roshell Day Spa & Health, LLC

31 | Occupational Therapy: Can Help You Throughout Your Breast Cancer Journey | By Kaitlyn Berry

34-43 | Featured Cancer Professionals + New Technology

44 | 3 Ways Nature-Informed Therapy Can Heal a Grieving Heart | By Roberta P. Rook, MA, LCPC

46 | Habits That Affect Teeth and Jaws | By Jacqueline Brown Bryant, DDS, MS, PC

46 | Recovery and Mental Illness | By Joyce Abramson, RNMS

48 | Are Food Allergies Affecting You? | By Thomas K. Lo, DC

48 | The Ultimate Healing: Restoring Body, Mind & Spirit | By Sabrina Milanovich

50 | Scalp Health 101: Why Your Scalp Deserves Special Attention This Fall | By Christina Tortorici-Prieto

52 | Over-the-Counter Medicines and Drug Interactions | Submitted By Kensington Pharmacy

52 | Future Fertility: A Case For Funding | By Yemi Adesanya-Famuyiwa, MD

53 | Get the Flu Shot: Take the Lead In Your Health | By Janet V. Johnson, MD

54 | Acupuncture For Side Effects Of Cancer | By Quansheng Lu, CMD, PhD, LAc

54 | Screening Tests For Oral Cancer | Submitted by E. Taylor Meiser, DDS

57 | Cancers Of the Legs and Feet | By Ademuyiwa Adetunji, DPM

59 | The Value Of Acupuncture For Cancer Patients | By Tierra Hardin, MD

Your Health Magazine is on a mission. There are far too many people, insured or not, who do not go to the doctor when they should, and in millions of cases, don’t know who they should go to, or why.

People are encouraged to buy a new house, car, cell phone or big screen TV, and those companies make themselves very visible and their products easily attainable.

Information about, and from, local healthcare providers is not easy to find, and many times those services are difficult to access.

Information and encouragement always lowers fear and trepidation about anything, and this is especially true in healthcare. While general information is available on web-sites, specific information from local providers is almost impossible for people to find. This is one of the key reasons chronic and episodic conditions are not cared for. It is our mission to:

Make A Difference By Empowering and Encouraging People To Live Healthier By Going To the Doctor When They Should.

There is a lot of evidence that the health professionals who participate in Your Health Magazine have helped many people over the years. We at Your Health Magazine salute you!

If you would like to find out how you can participate in one of our upcoming editions, please contact the office nearest you. SERVING MARYLAND & VIRGINIA Since 1990

MARYLAND & WASHINGTON, DC OFFICE One Town Center 4201 Northview Drive, Suite 102 Bowie, MD 20716 Office (301) 805-6805 • Fax (301) 805-6808 info@yourhealthmagazine.net

VIRGINIA OFFICE Office (301) 805-6805 info@yourhealthmagazine.net

© Your Health Magazine, 2024. The magazine and all of its contents are protected by copyright. For permission to reproduce any materials in this magazine, contact publish@yourhealthmagazine.net

EDITOR-IN-CHIEF

Gregory Scott Hunter

Did you know that skin is the largest organ in our bodies, and the outer mirror of everything happening internally? Being a board certified dermatologist means having the qualifications and knowledge to analyze the skin as well as the hair and nails for any signs that can point to medical conditions involving the blood, intestines, heart, liver, kidneys, and every other body system. That’s why an annual skin check, as recommended by the American Academy of Dermatology, is an essential part of total health – think of it not only as a “physical” for your skin but for your whole body.

Healthy skin is even-toned, blemishfree, and has a radiant glow. An experienced dermatologist can even tell your stress level, what you’re eating, whether or not you smoke, and many other aspects of your lifestyle just from looking at your skin.

The first steps to achieving healthy skin are to get enough sleep, control stress, and eat a well-balanced diet with plenty of antioxidants and other nutrients that repair the skin and body. Antioxidants in the right formulations can also be effective when applied to the skin. There are now other topical treatments with skin health and anti-aging research behind them such as retinol, growth factors, DNA repair, peptides and hyaluronic acid. The key is to look beyond the marketing hype, to find products with solid science and publications in medical journals.

Beyond topical treatments, more men and women who want to look and feel their best at any age are opting for new non-surgical procedures that give natural-looking results with no down time or scarring. These options can be fitted into any lifestyle, allow an immediate or very rapid return to regular activities,

Five Tips For Timeless Skin Health and Beauty

and give great results if performed by a properly qualified dermatologist or plastic surgeon. This can give a competitive edge professionally and personally, and project outwardly the youthful vitality and energy that we strive for internally.

Here are five key strategies to achieve skin health and beauty this year and beyond:

Select a Qualified Doctor

When you have cosmetic procedures performed, you are entrusting your face and body to the person who performs these procedures. It is essential that they have been trained as extensively as possible in safety and advanced techniques. It’s not a good decision to compromise for the sake of a cheaper price, as you may then have to live with results with which you aren’t happy – or, worse, suffer the risk of complications from the procedure. It’s important to select a doctor who has received appropriate training and board certifications to perform aesthetic procedures, not just a weekend course.

The American Board of Medical Specialties oversees board certifications for physicians, and recognizes four types of “Core” aesthetic specialists who are properly trained to be performing cosmetic procedures. They are Board Certified Dermatologists, Plastic Surgeons, Oculoplastic Surgeons and Facial Plastic Surgeons.

Here are three key questions you can ask during your consultation to check your doctor’s qualifications:

• Are you board certified in Dermatology or Plastic Surgery?

• Do you serve as a chair and teacher at the academy conferences of dermatology (ASDS and AAD) and plastic surgery (ASAPS and ASPS), as well as for universities and other academic programs?

• Is your clinic a certified research center, including for FDA studies that bring the newest technologies to our country?

One key benefit of a Board Certified Dermatologist is that their dual medical and cosmetic training enables them to look

at the whole of you, and make treatment plans with this “Big Picture” approach.

Find the Latest Techniques

One of the hottest trends for your face and body is non-surgical face lifting with Ultherapy, a new ultrasound treatment that specifically targets the deep tissues of your face, neck, chest and elsewhere to re-contour your jawline, tighten and lift your neck and cheeks, and lift sagging eyebrows. Ultherapy also lifts the buttocks, arms, knees and other areas.

The GentleMax laser or the new Exilis Ultra – a more advanced, upgraded version of Exilis Elite – or eMatrix sublative radiofrequency lasers can be added for advanced facial lifting, contouring or skin resurfacing. They can tighten and lift sagging skin, melt unwanted fat, remove a double chin, fade wrinkles, sun spots, scars, prominent pores and other blemishes, improve stretch marks, and give your skin a radiant glow. These lasers can be used to achieve similar results on your body, including your neck, arms, torso and legs.

Another hot trend is microneedling with platelet-rich plasma (PRP), the socalled “vampire facelift”, which harnesses the power of your body’s own platelet cells to rejuvenate your face and body. Scientific research shows that PRP can also be used with advanced techniques to treat hair loss and restore a healthy pattern of hair growth. For the best and safest results, select a clinic where a qualified dermatologist or plastic surgeon is personally performing the PRP treatments.

Natural fillers such as Voluma, Restylane, Juvederm, Radiesse and Sculptra can be added to restore youthful contours to your face. These fillers are gently injected just beneath your skin to fill under-eye hollows and lines around your mouth, restore shape and fullness to thinning lips, re-contour your jawline and improve the shape of your nose with no downtime or scarring. Muscle relaxers like Botox, Dysport, Xeomin, Daxxify or Jeauveau can be added to safely smooth out frown lines, worry lines, crow’s feet

and wrinkles around your mouth and on your neck. For treatment that looks so natural that it’s undetectable, it’s best to have an expert Dermatologist or Plastic Surgeon with in-depth understanding of facial anatomy perform these treatments. The most expert treatment doesn’t just soften wrinkles – it can actually reshape your whole face to give it more ideal proportions while preserving your facial expressions so you never look “frozen”, and stimulate new collagen and elastin for long-term results. We’ve all seen bad Botox, fillers and lasers – but those who have expert treatments simply look youthful and are typically told by others that they never seem to age!

Don’t

Forget Your Body

To be in the best shape possible, Exilis Ultra and Vanquish are non-surgical, no-downtime, completely painless lasers to melt stubborn fat deposits from your abdomen, hips, thighs, arms, buttocks, chin and other areas. A select group of experts in the U.S. have also served as physician trainers for Kybella, a nonsurgical injectable treatment to dissolve unwanted fat from your chin and neck. All these treatments are performed in your doctor’s office, and you can return to regular activities immediately after treatment. LipoLite is a no-downtime laser lipo treatment that safely and comfortably removes fat deposits from your abdomen, thighs, buttocks, chin, arms and elsewhere, and also tightens the overlying skin. Advanced body sculpting combines these fat-busting technologies with lasers to improve cellulite, stretch marks and loose skin, and further reduce your thighs, abdomen, arms and other areas. You will typically drop several dress sizes and lose several inches.

Asclera is a new pain-free treatment for spider veins on your legs. It’s advisable to start this treatment in the fall and winter. For smooth, holiday-perfect skin, try the new GentleMax Pro laser, which safely and quickly removes hair of all

Please see “Timeless Skin,” page 57

Direct: (301) 365-6940

Fax: (301) 365-6941

Email: cfeitel@medicalanddentalspace.com

Detecting and Preventing Urologic Cancers What You Need To Know

Urologic malignancies encompass a range of cancers that affect the urinary system, including the kidneys, bladder, ureters, prostate, and testicles. These cancers present unique challenges in diagnosis, treatment, and management, making awareness and education essential for both patients and healthcare providers.

Types Of Urologic Malignancies

Kidney Cancer: Renal cell carcinoma (RCC) is the most common type of kidney cancer. Risk factors include smoking, obesity, and hypertension. Symptoms may include blood in urine, persistent back pain, and unexplained weight loss. Early detection is crucial, often achieved through imaging studies such as ultrasound or CT scans.

Bladder Cancer : This is characterized by malignant growths in the bladder lining. The most common symptom is hematuria (blood in urine). Risk factors include smoking, exposure to certain chemicals, and chronic bladder infections. Diagnosis often involves cystoscopy and biopsy, while treatment may include surgery, chemotherapy, or immunotherapy.

Prostate Cancer: One of the most prevalent cancers among men, prostate cancer typically grows slowly and may not present symptoms in early stages. Risk factors include age, family history, and race. Screening methods like PSA (prostate-specific antigen) tests are vital for early detection. Treatments vary from active surveillance to surgery and radiation therapy.

Testicular Cancer : Although rare, testicular cancer is the most common cancer in young men aged 15 to 35. Symptoms might include a lump in the testicle, swelling, or discomfort. Self-examinations are encouraged for early detection as early stage cancers have cure rates above 90%. Treatment usually involves surgery, and may involve chemotherapy and radiation.

Ureteral Cancer : This malignancy affects the ureters, the tubes connecting kidneys to the bladder. Symptoms can be similar to those of kidney or bladder cancer. Diagnosis often requires imaging and biopsy. Treatment options depend on the stage and location of the cancer.

Risk Factors and Prevention

Understanding risk factors is crucial for prevention and early detection. Modifiable factors include lifestyle choices such as smoking cessation, maintaining a healthy weight, and reg-

ular exercise. Additionally, awareness of family history can guide individuals in discussing screening options with their healthcare providers.

Diagnosis and Treatment

Diagnosis of urologic malignancies typically involves a combination of physical exams, imaging tests, and laboratory tests. Biopsies are often necessary to confirm the presence of cancer. Once diagnosed, treatment plans are tailored to the individual’s needs and may involve surgery, radiation therapy, chemotherapy, or targeted therapies.

The Importance Of Early Detection

Early detection significantly improves the prognosis for patients with all types of cancer, including urologic malignancies. Regular check-ups and discussions about risk factors and symptoms with healthcare professionals based on your individual lifestyle and habits. For instance, men over 50 or those with a family history of prostate cancer should consider regular screenings with PSA and/or DRE.

Innovative Treatments

Isn’t that refreshing? Is it a better idea to focus on health -vs- an outdated, invasive fear-based strategy – year after year? We think so.

For most Americans, the word

October Is Breast HEALTH Awareness Month!

Cancer is constantly bombarding someone in our inner circle.

It is scary, very emotional and ugly. We are fearful for ourselves, our family, our friends and neighbors.

The word Mammogram also has a negative connotation for most - pain, fear, the “what if they find something” factor.

There are other options for women!

Thermography screenings are the best breast test you probably have

never heard of. The technology has been around for over 50 years. The screening is very easy, safe, affordable and performed without harm – (no compression, no radiation) or fear driven. It is information driven.

The more information you have, the better the outcome. It has always been our philosophy.

For most of our women clients, it is their go-to test along with their yearly physicals. For a few others, it is their main breast diagnostic tool –

along with an occasional ultrasound (or mammogram).

What Is Thermography?

Thermography is infrared imaging for the breasts and body that is a non-invasive method to determine stagnant fluid, inflammatory processes and vascularity that may be occurring – years before other tests can see it. This scan looks at temperature and symmetry of each breast to determine if activity is present.

How Can We Reduce Our Risk Factor?

There are many easy techniques to help and promote breast health.

Although there are a few things that can’t be eliminated (like family gene mutations), there are many we can avoid or reduce – such as estrogen use (HRT, birth control) smoking, poor diets – and yes, radiation exposure.

Preventative measures include: Eliminating (or reducing) sugar, soda, alcohol and carbohydrates. An alkaline/anti-inflammatory diet is ideal. Dry brushing underarms toward the chest area can break up lymphatic congestion - and an essential oil protocol (including frankincense, lavender and lemon) can reduce tenderness, inflammation and fibrocystic activity.

We have a full list of preventatives to share (just ask)! We are truly dedicated to women’s health and education!

Normal findings
Suspicious findings

Cancer and Periodontal Disease

Can a dental exam save your life? Regular dental appointments are strongly encouraged so that your dentist may look for any unhealthy conditions and catch them before they become big problems with even bigger costs.

Loss of teeth and increased cost of dental procedures are not the only reasons to see a dentist today. It is now clear that gum disease should be added to the list of factors that cause unhealthy body conditions. There is an extremely high risk of developing heart disease, diabetes, liver disease, blood diseases, heart attack, and stroke. With the latest research there is now evidence to add cancer to the list of gum disease related illnesses. According to the Center for Disease Control and Prevention (CDC), 47.2% of adults who are over 30 years of age in the United States have some type of periodontitis. With age, this rate increases, so that 70.1% of U.S. adults over 65 years old have this disease. Dental patients with moderate forms of gum disease have an overall 14% increased risk of developing cancer according to recent studies.

If you have any form of gum disease, even mild gingivitis, the normal act of brushing your teeth or chewing allows bacteria to enter your blood stream. The blood stream then carries the bacteria throughout the body. Studies have also found that gum disease is linked to a higher chance of pancreatic, lung, kidney and blood cancers in both smokers and nonsmokers. There was a 33% increase in the risk of lung cancer.

There was a 50% rise in the chance of kidney cancer and a 38% rise in pancreatic cancer. Blood cancers such as leukemia rose by 30% among men with gum disease. In another study it was found that for each millimeter of bone loss in chronic periodontitis, a serious form of gum disease, there was a four times the increase in head and neck cancer.

Searching for a precise connection goes on and will hopefully one day lead us to a cure but for now it is thought that untreated gum disease can trigger a substantial reduction in the immune response and cause damage to the immune system. This in turn makes it easier for the cancer to grow. It is also possible that the bacteria from the gum disease could be directly causing the cancer themselves. Further studies will be done in the coming months and years.

It is now clear that gum disease should be added to the list of factors that cause unhealthy body conditions.

What can be done today? See a periodontist. A periodontist is a special dentist that can determine your level of periodontal disease and help determine your risk factors. A referral is not required. Patients with a recent cancer diagnosis should see a periodontist prior to starting chemotherapy or radiation. They can help catch and treat these bacteria early to lower your risk in later years. Call a periodontist today and set up a complete periodontal evaluation. It just might save your life.

– Dental Implants To Restore Your Beautiful Smile

– Caring & Kind Dentist & Team

– State-of-the-Art Equipment

– Laser Periodontic Therapy

– Affordable Gum Treatment

– Insurance Accepted & Filed

– Ultra-Sterile Environment

– No Referral Needed

– Comfortable Sedation Dentistry

Initial

Our patients mean the world to us (and they love to refer to us as friends and family). My team works together to ensure your visit is enjoyable, and that your treatment is gentle and pain-free. We are deeply committed to help you prevent and treat periodontal (gum) disease, and to enhance your smile to improve your overall health.

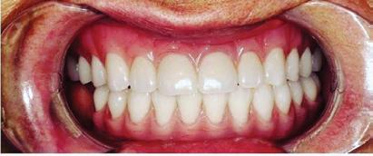
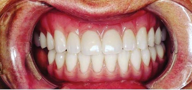
Your One-Stop Solution For a Healthy Smile

Submitted By Total Dental Care

Maintaining optimal dental health is crucial for overall well-being, and finding a dental office that offers comprehensive care under one roof is a game-changer. Total Dental Care is a well-established dental practice that takes pride in providing detailed and comprehensive services in various specialties, ensuring patients receive topnotch care for their unique dental needs.

General Dental Services: Total Dental Care excels in offering a wide array of general dental services, including routine check-ups, cleanings, and preventive care. Our experienced team focuses on early detection and intervention to prevent dental issues from escalating.

Specialized Services: Whether you require orthodontic adjustments, periodontal treatments, Invisalign, dental implants, prosthodontics, oral

surgery, extractions, root canals and endodontic treatments, or restorative and cosmetic dentistry, Total Dental Care has you covered. Our specialists are experts in their respective fields, ensuring you receive tailored treatments for your specific dental concerns.

Cutting-Edge Technology: Total Dental Care stays at the forefront of dental technology, offering services such as digital intra-oral cameras, cone-beam CT scanners, and teethin-a-day. Our commitment to utilizing advanced techniques ensures effective and efficient treatments while minimizing complications.

Sedation Options: Understanding the anxiety some patients may feel, Total Dental Care offers laughing gas, oral sedation and IV general anesthesia options. Our goal is to create a comfortable and stress-free environment, catering to the individual

Please see “Healthy Smile,” page 44

Gallstones A Common Cause For Abdominal Pain

dominal pain located on the right side of the abdomen under the rib cage. Pain can often radiate around to the back and to the right shoulder. Associated symptoms may include nausea, vomiting, or abdominal bloating. Symptoms are often aggravated by meals especially fatty or greasy meals.

AD PROOF

Magazine Design Shop, Heather L. Mahoney advertisement must be noted and faxed to YourHEALTH at (301) 805-6808 on or before the due otherwise the ad will be printed as shown below.

Gallstones are like small pebbles or stones that form within the gallbladder. They are typically made up of cholesterol or bile salts. The gallbladder is a sac-like organ on the right side of the abdomen. The gallbladder is connected to the liver, drains into the intestine and functions in digestion. Gallstones are often present without symptoms. When symptoms develop, it is often in the form of ab-

The frequency of abdominal pain varies. Pain may be sporadic occurring infrequently, it may be intermittent occurring on a frequent and predictable basis, or it can be constant occurring almost daily. The pain typically occurs after meals when the gallbladder is contracting. At other times, the pain may be present due to underlying inflammation of the gallbladder regardless of meals.

805-6805 •

The pain of gallstones can vary in severity from mild pain to severe pain. For many people, the pain is mild and tolerable. In other instances, the pain can be severe and debilitating.

REQUIRED. Please check the appropriate box, sign and fax back to YourHEALTH. ____ Ad okay with changes indicated ____ Please call to discuss ad design Signature (REQUIRED)_______________________________________________Date_______________ proof your ad. Check for correct addresses, phone #’s and spelling of all names.

Please see “Gallstones,” page 61

Take the first step to improve your overall health. Learn more by attending one of our FREE educational information seminars OR schedule your first appointment today!

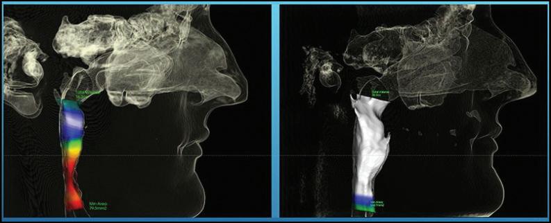
Why TMJ Technology Is So Important

When a patient goes to their TMJ doctor, it is vitally important to make sure that certain technologies are used in order to get a good diagnosis and even greater treatment. In this article we will be looking at the merits of the

dedicated Tesla coil, the x-rays to look at the jaw joints, the digital impression scanner, and the ever so important computer.

When it comes to getting a really great MRI of your TM joints, it is really important to be sure that the imaging center has a Tesla coil dedicated for this kind of work because it

is so sensitive and can allow us to see the articular discs much better than some older technology. In too many cases, the MRI is done with an inferior machine and the reading is simply not that precise. This will often lead to a misdiagnosis and a path of treatment that costs lots of money, time, and frustration.

We Are NOT Your Typical Dental Office

Another piece of technology in getting proper TMJ treatment involves the x-ray equipment. It is important first of all to go with “green” technology, i.e. low dose radiation and three-dimensional imaging. The 3-D imaging comes in really handy when the doctor wants to see what’s going on behind and around the corners of various bones, especially the condyle or jaw bone. This information helps when trying to correlate to the findings of the MRI; do the slipped discs make sense and is that why the jaw bone has shifted in that direction?

Dr. Jeffrey Brown has limited his practice to focus only on TMJ Disorders, Craniofacial Pain Management and Sleep Apnea. By fixing slipped discs in the jaw joints, Dr. Brown can significantly reduce the pain patients experience in the head/neck region and other symptoms associated with jaw joint problems. Sleep & TMJ Therapy may be able to improve the quality of life for you or a loved one – we encourage you to contact us with any questions or concerns.

“Dr. Brown and his staff are absolutely wonderful. I was diagnosed with Dystonia. I could not turn my head and had a ton of pain. My doctors offered no help and no advice besides Meds and Botox. Since having the appliance I have NO pain and I can turn my head. I would highly recommend them to anyone. I feel Dr. Brown and his staff really care about their patients and helping them to get better. They do not just numb the symptoms but fix the problem. Thank you from the bottom of my heart. I feel like the old me again!”

- D. Thomas

“My daughter has been treated by Dr. Stack and Dr. Brown for the last 2 1/2 years, and we are very fortunate to have found them. Prior to that she was being treated by a neurologist at a Children’s hospital. She was on medications for tics and associated muscle pain, OCD/repetitive thoughts, sleeplessness and more (all possibly associated with Tourettes). Drs. Stack and Brown installed spacers to alleviate pressure on nerve bundles in the jaw, and subsequently braces to complete the process. Her symptoms have diminished significantly. She is off medication, her tics have all but disappeared, she can concentrate better in school, and she is once again cheerful and relaxed.” - Susan

A very fun and very special advancement when it comes to doing braces to finish up a TMJ patient is the digital impression system. This system basically uses a camera to videotape the teeth and the computer effectively “stitches” all the videos together to show the lab what the teeth look like. In addition, the digital impressions are the most accurate way to see the teeth and jaw bones.

Then, the braces manufacturer uses a device to “cut’ each bracket to the best fit possible for every individual tooth. This means that each bracket is custom made, by hand (the hand of a computer guided laser that is) to the proper tip and torque needed to achieve the best result in the shortest time possible. Think of it like GPS for your trip up to Canada the computer will design the least difficult, quickest, and most efficient path to get you there.

Let’s not forget to give mention to our old friend, the computer, which has advanced so much in recent years that we have become used to it running on terabytes, not kilobytes, of storage and how fast the processors have become. Without the computer, we could not show the patient the wonderful world of digital x-rays and show them how their progress has changed. The computer and all these other technologies have surely changed our world, and made treatment better and easier for patients.

Jeffrey L. Brown, DDS
Jeffrey L. Brown, DDS

Dentures & Denture Repairs

Colon Cancer Risk Reduced 38% In Women Using HRT

Among postmenopausal women, hormone replacement therapy (HRT) use was associated with a 38% reduction in overall colorectal cancer (CRC) risk, according to a study published in Journal of the National Cancer Institute (JNCI) Spectrum (October 2020).

Another study published in BMC Cancer (2020) found that even in patients diagnosed with CRC, the current use of HRT is associated with lower risks of both CRC-specific mortality and overall mortality. This research was a metaanalysis of four randomized control trials and 16 observational studies and included 10,013 colorectal cancer survivors.

Colorectal cancer is the third most common cause of cancer mortality in women. An American adult has about a six percent chance of developing CRC in his/her lifetime. Most CRC is preventable through

regular screening but early detection also helps catch any cancer at more successfully treatable stages. In fact, the five-year survival for stage 1 colon and rectum cancer is 90.1%.

The JNCI study results indicate that both estrogen-only and estrogen plus progestin HRT formulations reduce CRC risk but CRC risk reduction was not seen in past HRT users. And “although this study includes populations in many locales, the participants were predominantly white, and therefore, these findings may not be generalizable to other racial and ethnic groups.”

Although some studies have determined minor variations in HRT impact on subtypes of colorectal tumors, the underlying mechanisms of how HRT impacts CRC requires further study. It is important to note that only 39.4% of CRC cases are diagnosed at the local stage. About one-third of

Please see “HRT,” page 61

• Natural, safe, laser light energy is pulsed and absorbed by the subcutaneous tissue.

• Supercharges the body’s metabolism through ATP synthesis to burn fat as energy.

• Waste products are expelled from the body via sweat, urine and respiratory exhaustion.

• The body continues to burn fat for up to 4 hours after treatment.

• Collagen and elastin production is increased within the skin layers to rejuvenate and repair skin cells addressing cellulite, skin laxity and stretch-marks.

There Is No Health Without Mental Health A New Model

Residential placement for individuals with chronic emotional challenges and wraparound services in the Metro MD/DC area.

Transition House offers a model for statewide residential placement and home-based behavioral health services. We provide services for

adults and seniors dealing with anxiety, depression, post-traumatic stress, obsessive-compulsive disorder, autism spectrum disorders, schizophrenia, bipolar disorder, aging-related issues, and the onset of mental health and medical diagnoses. Our mission is to bridge the gap between crisis centers, hospitals, and long-term housing solutions, offering a holistic and compassionate approach to mental health care.

Wraparound resources are offered to individuals and/or families, from finding housing to utilizing our specialists in nursing, medication management, and coaching/therapy. Our goal is to provide the emotional and practical support needed to prevent extreme isolation and escalated mental health challenges.

Please see “A New Model,” page 63

Who’s at Risk For Colon Cancer?

Submitted By Gastro Center of Maryland

While risk factors such as genetics and lifestyle play a big part, cancer can still happen to anyone. Luckily, you can take steps to keep you and your family healthy if you become familiar with the most common risk factors.

That’s why gastroenterology experts are here with a comprehensive list of colon cancer risk factors to help you know where you stand.

Who’s At Risk For Colon Cancer?

The most common risk factor for colon cancer is advanced age. In fact, your likelihood of developing any type of serious illness increases as you get older. Other contributing factors include having:

• Inflammatory bowel disease, such as Crohn’s disease or ulcerative colitis

• A personal or family history of colon cancer

• A genetic predisposition

• A history of polyps

Some lifestyle factors can even make you more likely to develop colon cancer. They include:

• Living a sedentary lifestyle

• Eating a diet low in fruits and vegetables

• Eating a low-fiber, high-fat diet

• Eating processed meats

• Being overweight or obese

• Excessive alcohol and/or tobacco use

If you have these risk factors, it’s important to contact an gastroenterologist expert to determine your next steps.

What Should I Do If I’m At Risk?

A gastroenterologists office should be your first call if you determine you’re at risk for colon cancer. They offer a wide range of diagnostic and screening tests to monitor your colon health and detect the earliest signs of cancerous changes.

Please see “Colon Cancer,” page 66

Expert Care,

Compassionate Approach

WHY CHOOSE US?

Innovative Treatments: From advanced diagnostics like Bravo pH Testing and PillCam SB Capsule Endoscopy to breakthrough procedures such as the STRETTA anti-reflux treatment and ORBERA™ gastric balloon, we stay ahead in GI care.

Comprehensive Care: Expertise in managing a full spectrum of GI conditions including Acid Reflux/GERD, Crohn’s Disease, and Liver Disease. Our individualized treatment plans are designed to meet your specific needs.

Experienced Specialists: Our board-certified gastroenterologists are dedicated to providing the highest quality care with years of experience in treating complex gastrointestinal and liver disorders. Ready to take control of

Our Services Include:

Advanced Diagnostics: Bravo pH Testing, PillCam Endoscopy, GI Genius

Specialized Procedures: STRETTA, ORBERA™ Gastric Balloon IBD Infusion Center: Biologic and Injectafer Infusions Integrative Nutrition • Colonoscopy • Colon Cancer Screening

your health?

Request an appointment today and experience the difference personalized care can make. Call us at 410-290-6677 or visit www.GastroMaryland.com to schedule online. Don’t wait – Call Today For A Consultation Tomorrow!

How New Tech In the Dental Office Benefits

The iTero Element 5D is a wandshaped digital scanner that features an intraoral camera. The wand can be moved around the inside of a patient’s mouth to essentially create five-dimensional impressions of your teeth. This makes your dentist’s job easier when treating you, but, what exactly does this mean for you?

This state-of-the-art diagnostic

• Dentures

• Extractions

• General Dentistry

• Invisalign

• Periodontal Treatment

• Tooth-Colored Fillings

tool is used for a number of purposes, including finding cavities, to enhance Invisalign procedures, and to replace traditional dental impressions. Finding Cavities Between Teeth

Cavities between teeth are often invisible to the naked eye, and dentists typically rely on bitewing X-rays to find them.

The iTero features an infrared camera that allows your dentist to identify cavities between teeth without an X-ray. So if your dentist has the iTero they can use traditional X-rays less frequently. As a result, patients can have a more comfortable experience, and exposure to radiation from X-ray technology is minimized.

Enhancing the Invisalign Procedure

The iTero can be used to simulate Invisalign treatment, allowing a pa-

Please see “New Tech,” page 61

Yu

&

Hair Medic

We provide private treatment rooms for a personal and confidential one-on-one experience.

We also service clients with existing hair replacement systems. No membership fees

Other Services & Products Offered:

• Scalp Analysis • Shampooing/Conditioning

• Care for Chemotherapy/Radiation

• Wig Lingerie • Turbans/Scarves • Fashionable

• Sleep Caps • Hair Coloring • Cutting • Relaxing • Perming

• Nutritional Supplements • High Frequency Therapy

• A Variety of Therapeutic Scalp Treatments

Call Hair Medic to regain your natural look or to enhance your look to what you’ve always dreamed of having.

Hair Loss Problems Solved!

• No more embarrassing hair moments!

• No more “wiggy” looking wigs!

• No more uncomfortable wigs!

Treat it like its your own natural flowing hair. Hand made, designed for persons experiencing hair loss or to enhance your natural look.

Cancer: Improving the Odds

In the U.S. cancer will claim the lives of at least 600,000 people annually, and approximately 2 million new cases of cancer will be diagnosed each year. The three most common cancers among men are prostate cancer, lung cancer and colorectal cancer, in that order of frequency. The three most common cancers among women are breast, lung, and colorectal cancers. Not as commonly known is that lung cancer is the cancer that kills most women, even more than breast cancer.

The genetics we are born with cer-

tainly play a big role in determining our susceptibility to cancer. While we can’t change our genetics, there is a great deal of information available, which teaches us the things we can do (and not do) to increase our chances of not developing cancer or to survive cancer.

It has been estimated by the American Cancer Society that being overweight or obese contributes to 20% of all cancer cases. With twothirds of Americans being overweight and half of those being obese, this becomes a very important statistic. At lease 20 cancers are associated with being overweight. And cancer death rates are 50-60% higher in obese men and women.

Physical inactivity is also directly associated with risk of contracting various cancers. A person’s degree of physical activity is also likely predictive of their chances of surviving cancer.

An optimal Vitamin D level is likely protective against both breast and prostate cancer (though there is some conflicting data). The high incidence

Please see “Cancer,” page 63

Ovarian Cancer Prevention

Ovarian cancer is the eighth most common cancer among women and ranks fifth in cancer deaths among women. A woman’s lifetime risk of getting ovarian cancer is about one in 70, or 1.4%.

The Research Research has found several risk factors that have been shown to increase the risk of a woman developing epithelial ovarian cancer, which accounts for 85-90% of all ovarian cancers.

Age – Half of all ovarian cancers are detected in women older than 63 years of age.

Obesity – An American Cancer Society study found a higher death rate in obese women.

Reproductive History – There may be a relationship between an increasing number of menstrual cycles in a woman’s lifetime and her risk of developing ovarian cancer. This includes onset of menstruation before age 12, childbearing after age 30 or never having any children, and/or menopause after age 50.

Family History – With ovarian cancer, breast cancer, or colorectal cancer risk is increased if your mother, sister, or daughter has had ovarian cancer, with a higher risk if the cancer occurred before age 55. About 10% of ovarian cancers have a hereditary tendency, which includes a mutation in the breast cancer gene BRCA1 or BRCA2.

Screenings

Exams and tests meant to detect a disease in patients without symptoms.

• There is presently no type of screening method that has proven effective in lowering the number of deaths caused by ovarian cancer.

• The most thoroughly studied screening tests are measuring a CA-125 level in the blood or using pelvic ultrasound, but neither is recommended for screening.

• CA-125 can be falsely elevated in many benign conditions and is not elevated in all ovarian cancers.

• Pelvic ultrasound is helpful in detecting a mass in the ovary, but it cannot accurately determine which masses are cancerous and which are benign.

Signs and Symptoms

• Abdominal swelling or bloating

• Pelvic pressure or abdominal pain

• Difficulty eating or feeling full quickly

• Constipation and Indigestion

• Urinary urgency or frequency

• Back pain and fatigue

• Unexplained weight loss

The best way to detect ovarian cancer early is for both the patient and the physician to have a high index of suspicion if symptoms arise. Although the symptoms associated with ovarian cancer are vague, studies have shown that women with

ovarian cancer are symptomatic several months before diagnosis, even with early-stage disease.

Prevention

Some things can be done to lower a woman’s risk of developing ovarian cancer, namely epithelial ovarian cancer.

• Use of oral contraceptives for three or more years lowers the risk of developing ovarian cancer by 3050% compared to women who never used oral contraceptives.

• Tubal ligation may decrease the

risk of developing ovarian cancer by up to 67%.

• Pregnancy and breast feeding.

• Several studies have shown that a diet high in vegetables reduced the risk of ovarian cancer.

• Prophylactic Oophorectomy – For select women at high risk of inherited ovarian cancer, removal of the ovaries after childbearing is an option. However, this does not eliminate the risk of primary peritoneal cancer, which behaves like ovarian cancer.

Can just four implants replace all of the teeth on the top or the bottom of your mouth? Thanks to advances in dental implant technology, that answer is a resounding yes.

Tooth loss is extremely common among adults, especially as we age. Rather than living with the discomfort and hassles of dentures, many people are opting for what is called “all-onfour” dental implant restoration.

An implant is a small titanium

screw that fits inside your jawbone and replaces the root-part of a missing tooth. Minor surgery is required to insert the implants. Once the implant is in place, a crown is attached to give you a highly realistic-looking and functional prosthetic tooth.

You do not need a dental implant for each and every one of your missing teeth. All you need is four precisely placed implants on the top of your mouth, and four on the bottom, to restore your full smile. That’s the beauty of the all-on-four. And because the implant is made of titanium, it has the unique ability to fuse to living bone and function as part of it. So eventually, the dental implant becomes part of the jawbone and serves as a strong, longlasting foundation for your new teeth.

Besides ensuring that your implants are permanently fixed in place, this bone fusion has another important benefit: it prevents future bone loss in the jaw. This helps to maintain a more youthful facial structure – and better

How Cannabis May Help With Cancer

Medical cannabis can help alleviate symptoms associated with a variety of physical and psychological conditions and has been shown to be especially therapeutic for individuals with cancer.

Cannabis and Cancer

Cannabis contains active compounds known as cannabinoids, which include THC and CBD. They are able to activate receptors throughout the body in much the same way as naturally occurring chemicals in our endocannabinoid system.

These capabilities enable can -

nabis products to affect physiological functioning, alleviating many symptoms, and decreasing tumor activity.

Research On the Effects Of Cannabis On Cancer

As cannabis legalization becomes more widespread and accepted, we see more support for current studies on cannabis as medicine at the national and international level—studies that were simply not sanctioned in prior years.

What Symptoms Can Cannabis Treat?

The areas about which most agree, include:

• Relief from nausea associated with chemotherapy.

• Reduction of pain and inflammation.

• Help with sleep

• Help with the psychological and physical discomfort associated with cancer

For More Information

There is a wealth of information online. Many dispensaries have educational information available via their websites, and provide printed literature on-site.

The Truth About Hypnotherapy

Tobacco Related Habits, and Cancer You Can Stop Smoking, Vaping or Chewing Tobacco

Consider this:

• Cigarette smoking causes three out of four lung cancer deaths, as well as other cancers and chronic diseases.

• There are 7,000 chemicals in a

cigarette, at least 100 of them are known cancer causing agents.

• A recent study concluded that smoking attributable deaths will remain relatively stable at approximately 450,000 until 2030.

• Poisons in cigarette smoke can damage or change a cell’s DNA, which may lead to a cell beginning to grow out of control and creating a cancer tumor. They also weaken the body’s immune system, making it harder to kill cancer cells.

• Smoking can cause cancer almost anywhere in your body, including the blood, bladder, cervix, colon, rectum, esophagus, kidney, renal pelvis, larynx, liver, lungs, trachea, bronchus, mouth, throat, pancreas, and stomach.

Please see “Hypnotherapy,” page 66

Veterans Resource Day

What Is a Hammertoe?

What Is a Hammertoe?

A hammertoe is a contracture – or bending – of the toe at the first joint of the digit, called the proximal interphalangeal joint. This bending causes the toe to appear like an upside-down V when looked at from the side. Any toe can be involved, but the condition usually affects the second through fifth toes, known as the lesser digits.

There are two different types: Flexible Hammertoes

These are less serious because they can be diagnosed and treated while still in the developmental stage. They are called flexible hammertoes because they are still moveable at the joint.

Rigid Hammertoes

This variety is more developed and more serious than the flexible condition. Rigid hammertoes can be seen in patients with severe arthritis, for example, or in patients who wait too long to seek professional treatment. The tendons in a rigid hammertoe have become tight, and the joint misaligned and immobile, making surgery the usual course of treatment. Symptoms

• Pain upon pressure at the top of the bent toe from footwear.

• The formation of corns on the top

Please see “Hammertoe,” page 63

Cancer and Chiropractic Care

Embrace Chiropractic Care: A Key Component of Your Recovery Journey and Holistic Wellness.

Chiropractors specialize in addressing and alleviating bone, muscle, and joint discomfort, all without resorting to pharmaceuticals or surgical interventions. Employing a gentle, non-invasive, manual technique, they adeptly manipulate various joints within the body, particularly focusing on the spine.

Chiropractic therapy emerges as a potent solution to mitigate and ease joint and muscle pain, often ag-

gravated by procedures like surgery, chemotherapy, or radiation therapy. By realigning the spine and other joints through chiropractic adjustments, nerve function is reinstated. This comprehensive approach also tackles an array of symptoms, including but not limited to back pain, neck pain, headaches, sciatic nerve discomfort, difficult mobility, queasiness, and neuropathy (pain or numbness in extremities).

Engaging in chiropractic care additionally cultivates stress reduction, bolstered mobility, heightened flexibility, enhanced strength, and optimized function. This multi-faceted approach significantly enhances the quality of life and overall well-being.

Recently, the American Chiropractic Association (ACA) prominently featured the Cancer Treatment Centers of America (CTCA) in the cover story of its August 2013 edition of ACA News

Within CTCA, chiropractic practitioners collaborate seamlessly within interdisciplinary teams alongside surgeons and oncologists, providing vital support

DO YOU HAVE THIN OR VERY THIN LIPS?

The Fairfax clinic of Board-Certified Dermatologist, Dr. Hema Sundaram, is currently seeking men and women with thin or very thin lips to join a clinical research trial for a lip filler.

If you are at least 22 years of age and desire lip augmentation with a dermal filler, we encourage you to contact our office to learn more about this research study and to see if you meet the study requirements to participate.

At the offices of

Compensation up to $100 per visit

Study duration of up to 68 weeks 8-13 in office visits

Contact Safiya Marouf at dermdc@gmail.com call Fairfax, VA 703-641-9666 or Rockville, MD 301-984-3376 for more information

DR. HEMA SUNDARAM,

MA, MD, FAAD

Board Certified Dermatologist and Dermatologic Surgeon, International Teacher and Researcher in Advanced Dermatology and Plastic Surgery Technologies Follow us on Instagram: @twicebornbeauty & @drhemasundaram

Alicia Kovach, DC Aric Adlam, DC Kristina Anderson, DC

Let’s start talking about living.®

Award-Winning Services

Companion Care: Everyone needs companionship. Whether it’s helping with chores, transportation, socialization or activities like puzzles, our caregivers keep your loved one engaged and active.

Personal Care: A daily routine can be one of the strongest reminders of what makes home feel like home. When those day-to-day tasks get harder, our caregivers help maintain the comfort and familiarity of home life.

Specialty Care: Even though every care situation is unique, Right at Home caregivers are not only experts in specialty care such as dementia and hospice care, but they’re trained to help you cope as well, so you can feel comfortable knowing your loved ones are in good hands.

Live-In Care: This service is when a trained caregiver lives with the client and provides care throughout the day, offering 24/7 support tailored to their needs. We provide long-term, and short-term live-in options ideal for those needing consistent, around-the-clock care or for family caregivers seeking a temporary break.

Home—there’s truly no place like it. It’s where your memories live, where you raised your family, and where friends gathered for life’s celebrations. It has been your sanctuary through the ups and downs of life, and it’s where you want to stay. At Right at Home, our mission is to help you remain where you feel most comfortable—because we exist to be your trusted guide in living well at home, wherever home may be.

Aging, disability, illness, or injury can make staying at home challenging. We believe no one should have to navigate the complex decisions and unexpected changes alone. As experts, we offer more than just care—we provide guidance and support through every step of the journey. Right at Home’s dedicated caregivers are passionate about making a difference in clients’ lives, knowing that with every person they help, they’re making the world a better place.

Independence Beneficial To Health For Older Adults

Submitted By Right At Home

Anyone caring for a senior should understand that just because someone requires assistance doesn’t mean they don’t want to feel a degree of independence. The basic human desire for this doesn’t go away with age. It starts in adolescence, continues through childhood and adulthood, and evolves in one’s later years. Aging can chip away at it, but fostering a sense of independence in the older adult you help can promote a sense of empowerment and self-worth for them.

The Benefits Of Autonomy

Experts say seniors under the care of a professional or family member are best served when encouraged to maintain whatever degree of autonomy they assert for themselves and can safely manage. A sense of empowerment can lower the risk of isolation and depression and keep folks physically active and mentally engaged. And, the more

independent someone feels, the more likely they are to interact socially with peers, loved ones, and neighbors and take better care of themselves; in that way, independence begets good health. Technology and Home Adaptations Can Help Professional caregivers know how important independence is, which is why they listen to what seniors in their care want and need. It may not be practical or safe for a senior to get all the independence they crave, but that’s where adaptive compromise comes in. The senior and their caregiver should work together to ensure what the older adult asks for can be reasonably met. There are simple home adaptations that can help seniors maintain independence while aging in place. In the case of fall prevention, falls at home account for most injuries to seniors. If a senior falls, it can be debilitating enough to rob one of

Please see “Independence,” page 63

COVID-19 and Traffic Safety

Under the heading ‘nothing good came out of the pandemic’, you can add car accidents and traffic deaths.

A study by the AAA Foundation for Traffic Safety highlights the deadly impact of the COVID-19 pandemic on traffic safety. Between May 2020 and December 2022, there were 114,528 deaths in car crashes in the United States. This was a 17% increase from what was expected under prepandemic trends.

There were troubling findings in the study, which included increases

in fatal crashes across all age groups, with men disproportionally affected. Most deaths occurred among young adults in the 20 – 24 age group. In 2021 the highest death toll was among teens in the 16 – 19 age group.

More worrisome findings were the impact on minorities. African Americans make up 12% of the United States population yet 34% of the entire rise in traffic fatalities were suffered by these Americans. Hispanics incurred 25% of the increase in deaths from traffic accidents

What was the cause of these troubling findings? The AAA Foundation identified several factors:

1. Risky Driving – Speeding and driving under the influence was a major cause of traffic accident deaths.

2. Failure To Wear Seatbelts – The increase in deaths from automobile accidents for occupants was almost entirely attributable to failure to wear a seatbelt.

3. Time Of Day – While traffic congestion decreased dramatically

Please see “Traffic Safety,” page 66

Contraception and Pregnancy Prevention Key To Women’s Health

GYN Surgery

Contraception is a critical component of women’s health, offering control over reproductive choices and preventing unintended pregnancies. Effective contraception reduces the need for abortion, which, while a necessary option, can sometimes lead to complications affecting future reproductive health.

Types Of Contraception

A wide variety of contraceptive methods are available, each with different effectiveness rates and suitability depending on individual needs and lifestyles. These include:

Barrier Methods: Condoms, diaphragms, and cervical caps physically block sperm from reaching the egg. They also offer protection against sexually transmitted infections (STIs).

Hormonal Methods: Birth control pills, patches, injections, vaginal rings, and implants release hormones to prevent ovulation. They are highly effective when used correctly and can also regulate menstrual cycles and reduce menstrual cramps.

Intrauterine Devices (IUDs): These are small devices inserted into the uterus. Available in hormonal and

Please see “Contraception,” page 66

• General GYN

• Cancer Risk Assessment

• Contraception

• Menopausal Medicine

• Adolescent Care

A Journey of Healing

Elambert Richardson’s journey to founding Elon Roshell Day Spa & Health is a remarkable story of resilience, healing, and dedication to helping others. Richardson’s path began with a profound personal struggle and evolved into creating a sanctuary of well-being that includes innovative treatments like a unique salt cave.

Richardson, once a preschool teacher, faced a debilitating injury that altered the course of her life. Despite extensive physical therapy, her pain persisted,

leading to depression and a diagnosis of fibromyalgia. Her doctor presented her with a stark choice: find a way to live or succumb to her condition. This critical moment propelled Richardson to seek healing beyond conventional methods.

Richardson shared another poignant aspect of her struggle: the hostile work environment that led to her depression and ultimately, PTSD. She recounts instances of mistreatment, including being ostracized by colleagues and subjected to demeaning messages.

Despite enduring chronic pain and emotional distress, Richardson finds solace in helping others and is embarking on a journey of healing by sharing her story.

A pivotal turning point came with her reading of “The Ministry of Healing,” a book that highlighted the therapeutic power of helping others. This revelation ignited her determination to overcome her depression and explore a career in healthcare. Richardson began volunteering at her children’s school, pursued higher education, and ultimate-

ly found her calling in massage therapy. Overcoming Adversity

Looking for a natural way to boost

Richardson’s journey was further challenged by the COVID-19 pandemic, which forced her business to close for 15 months. During this time, she also contracted the virus, requiring oxygen therapy. Remarkably, this treatment provided significant relief from her chronic pain. “The oxygen was so good. I mean, that was the first thing that, really like, I had no pain,” she recounted.

A Vision Of Wellness

After her recovery, Richardson experienced a life-changing dream that inspired her to create a comprehensive health and wellness center in Calvert County. This vision became Elon Roshell Day Spa & Health, featuring an array of services designed to promote natural health and wellness, including an oxygen bar, hyperbaric chamber, and a signature salt cave.

The salt cave is a central feature of Richardson’s spa. Constructed with real salt bricks, the cave offers a serene environment where visitors can experience the benefits of inhaling medicalgrade salt. These benefits range from improved skin health and respiratory relief to overall relaxation. “It’s good for your skin. If you have eczema, it’s good for different skin conditions. Also your lungs. For me, I have asthma. And after having this, I haven’t had to really carry my inhaler,” Richardson explained.

Elon Roshell Day Spa & Health offers a variety of wellness services, including massage therapy, facials, waxing, oxygen therapy, red light therapy, infrared sauna, and ionic foot baths. This holistic approach addresses both physical and mental well-being, providing a comprehensive healing experience.

Elambert Richardson also hosts a weekly Wellness Wednesday event at the spa. For just $25, attendees can experience the salt cave and participate in free small group health and wellness events. These events, largely led by Jeanette Umstead, a health coach at the spa, focus on Bible-based teachings of the 8 laws of health. These teachings emphasize principles such as a plantbased diet and the importance of rest, believed to contribute to long lifespan and overall well-being when followed.

Elambert during that time of great sadness, and now. Finding rest, happiness, and restoration!

Occupational Therapy Can Help You Throughout Your Breast Cancer Journey

Breast cancer patients are brave warriors, often undergoing surgery, chemotherapy, radiation, and/or hormone therapy. Throughout or after these treatments, many experience side effects that may last a short or long time, or even arise months or years later. The common question

HealthVendors

is: is there anything that can be done about these side effects? The answer is a resounding YES!

Occupational and Physical Therapists specializing in oncology are vital to your recovery plan. They can help manage common and less common side effects. As a seasoned oncology and lymphedema therapist, I frequently encounter the following side effects and teach my patients how to manage them.

Axillary Web Syndrome (AWS): Did you know that approximately 85% of people develop AWS after breast cancer surgery? This condition, often seen in women with a lean build or BMI >30, presents as a fibrotic (scar tissue) lymphatic vessel that looks and feels like a guitar string, often located in the axilla (armpit) and can extend down the arm or trunk. AWS

Please see “Breast Cancer,” page 65

Revolutionizing Health Care

The Ultimate Therapy and Wellness Ecosystem for Optimal Occupational Therapy and Essential Wellness Products

Strength After Breast Cancer and Lymph Flow Glow-ga

ONCOLOGY

RELATED CONDITIONS:

• Lymphedema

• Chemotherapy Induced Peripheral Neuropathy (CIPN)

• Neural Tension Relief

• Axillary Web Syndrome (AWS) aka Cording

• Fine motor needs

Virtual Class

• Pain

• Weakness

• Chronic Fatigue

• Decreased range of motion

• Radiation fibrosis

• Scar tissue restrictions

• Breast Capsular Contracture

• Skin care

• Nutrition ...and more

277 Peninsula Farm Road, Building 3, Suite “I”, Arnold, MD 21012 (Located within Inspire Wellness Center) www.MagothyTherapy.com • kbarry@magothytherapy.com 202-681-1779

ACCEPTING NEW PATIENTS

Hosted by: St. Mary’s County Department of Aging & Human Services at the University of Maryland - Southern Maryland - 44219 Airport Rd, California, MD 20619 Friday, October 11, 2024 9 a.m.-3:30 p.m.

Skip the Line!

Do you want to skip the registration line at the Health Fair?

Attendees can register online at: http://www.stmaryscountymd.gov/aging/healthfair

Online registrants will be eligible for a special prize!

Online registration closes at 12 p.m. on Thursday, Oct. 10.

For more information, contact Sarah Miller

Website: www.stmaryscountymd.gov/aging/healthfair

Phone: 301-475-4200, ext. 1073

Email: Sarah.Miller@stmaryscountymd.gov

Brought to you by the Commissioners of St. Mary’s County and the Department of Aging & Human Services Medication Collection Available All Day! Thank you to our generous sponsors:

Reduce Signs of Aging and Treat Sagging Skin!

A neck lift can be performed for men and women of varying ages who are often frustrated by changes of the appearance of their neck and jawline. Depending on your age, a neck lift can be a short one-hour procedure to remove fat or a 3-hour procedure to remove fat, visible neck bands, and excess skin.

Neck Lift Surgery Can:

Remove Excess Skin (Cervicoplasty) • Liposuction to Remove Excess Fat

Remove or Alter Neck Muscles (Platysmaplasty)

Liposuction can be performed alone or with surgical removal of the fat under the chin through a small incision under the chin.

In patients with vertical bands in the neck, a platysmaplasty can be performed to reduce the appearance of the bands.

Sometimes a chin implant is recommended to improve the overall contour and help with excess skin.

By quitting — even for one day — smokers will be taking an important step towards a healthier life – one that can lead to reducing cancer risk. Ask yourself - if not now, when?

Next QUIT Class starts October 10th from 6-7PM. In person or virtual option.

• Natural, safe, laser light energy is pulsed and absorbed by the subcutaneous tissue.

• Supercharges the body’s metabolism through ATP synthesis to burn fat as energy.

• Waste products are expelled from the body via sweat, urine and respiratory exhaustion.

• The body continues to burn fat for up to 4 hours after treatment.

• Collagen and elastin production is increased within the skin layers to rejuvenate and repair skin cells addressing cellulite, skin laxity and stretch-marks.

MINI IMPLANTS

Mini dental implants are about half the size in diameter of a regular dental implant. This offers many benefits, and they can also be used in situations where regular implants cannot. If an implant needs to be placed in a narrow space, mini implants are the preferred method because of their smaller size.

A main use for mini implants is to install a full upper or lower denture. A series of mini implants (4-6) are placed along the gum line and they serve as the base of the denture. Rather than placing a single implant for a single tooth, an entire lower or upper set of teeth are directly attached to the gum line.

The small size of mini implants often means that no incision needs to be made to place the implant. They can usually be inserted right through the gum into the bone. This eliminates the need for a recovery period, and the restoration can usually be placed a short time after.

Mini implants are also less expensive than regular implants. Only your dentist knows if mini implants are right for you, so call for your consultation today.

TMJ dysfunction

• Craniofacial pain

• Crowded/crooked teeth

• An avoidance for extractions

• Crossbite, overbite or underbite

• Cranial asymmetry

• Sleeping problems — snoring

• Recommendations for jaw surgery

Our ALF appliances are certified by Dr. Darick Nordstrom. He has personally instructed our ALF-certified technicians on the proper design and fabrication techniques to ensure that each technician is capable of creating authentic ALF appliances worthy of certification. The seal below is his stamp of approval.

Dr. Brown is highly trained in ALF (Advanced Light Force) therapy. He has over 500 hours in ALF therapy training and has lectured around the world teaching ALF techniques with Dr. Nordstrom, the creator of the ALF appliances. The ALF appliances are thin, conservative appliances that can be used on the upper and lower arches. They hide behind the teeth, are removable and are basically invisible when being worn. This innovative treatment approach is used to address neurological, orthodontic and orthopedic issues, and the benefits are vast. Each appliance is unique to the patient and designed by the doctor to achieve specific goals relating to health, beauty and function. No ALF appliance is the same, and treatment is pain-free.

Airway before ALF Treatment;
Brent C. White, Jr., DDS ThunderBird Dental Office

Technology

Ultrasound Provides Cutting-edge Precision for Joint Injections

Our specialists at All Star use ultrasound to safely and precisely guide injections directly to the source of your pain.

Why Choose Ultrasound-Guided Injections over Old Fashioned Blind Injections?

• Better Results with Less Pain: With accurate needle placement, you experience less pain with the injection and better outcomes afterward.

• Accuracy Matters: Research shows that ultrasound-guided injections results in a 95% success rate, compared to 83% success for “blind” injections.

• Experience Matters. Dr. Lynch has 15+ years of experience using ultrasound guidance to provide precise regenerative injection therapies for arthritis, tendinitis, sprains, and strains.

Don’t let musculoskeletal pain control your life. Reclaim your mobility and enjoy everyday activities again with our state-of-the-art regenerative treatments.

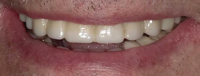
All-On-4 Dental Implants: A Reason To Smile Again

All-on-Four: One Full Arch Of Teeth, Four Dental Implants

To fully understand this remarkable technique for replacing teeth, you should first understand what a dental implant is. An implant is a small titanium screw that fits inside your jawbone and replaces the root-part of a missing tooth. Minor surgery is required to insert the implants. Once the implant is in place, a crown is attached to give you a highly realistic-looking and functional prosthetic tooth.

Here’s where it gets really interesting: You do not need a dental implant for each and every one of your missing teeth. All you need is four precisely placed implants on the top of your mouth, and four on the bottom, to restore your full smile. That’s the beauty of the all-on-four. And because the implant is made of titanium, it has the unique ability to fuse to living bone and function as part of it. So eventually, the dental implant becomes part of the jawbone and serves as a strong, long-lasting foundation for your new teeth.

Besides ensuring that your implants are permanently fixed in place, this bone fusion has another important benefit: it prevents future bone loss in the jaw. This helps to maintain a more youthful facial structure – and better oral health. But perhaps the biggest surprise about the all-on-four is how quickly it can transform your life.

What’s The All-on-Four Dental Implant Procedure Like?

It can be scary to get implants for the first time. Most of that fear is probably due to the uncertainty, so here is the step-by-step process for getting an All-on-Four dental implant.

First, your dentist will want to make sure your comfortable, so either local or general anesthesia will be administered.

Second, the dentist or surgeon will prepare your mouth for the implants, which involves removing your remaining teeth that are failing. They will then remove any diseased or infected tissue from your jaw and gums.

Next, they will begin the implantation process. This means they will insert the titanium screws into your jawbone. Most likely, they will place two implants toward the front of your mouth and two towards the back of your mouth so the “anchors” can evenly bare the force of the denture. After the implants have been placed, they will thoroughly clean the surgical sites and suturing all the

the anesthesia.

Bladder Cancer: From early detection to advanced treatments, including endoscopic surgery and intravesical therapy.

Prostate Cancer: Tailored treatment plans using the latest in radiation therapy, surgical options, and active surveillance.

Testicular Cancer: Comprehensive care from diagnosis to survivorship, with a focus on preserving quality of life.

Board-Certified Specialists with extensive experience in urologic oncology.

State-of-the-Art Technology ensuring precise and effective treatments.

Kidney Cancer: Innovative approaches such as robotic and minimally invasive surgeries to preserve kidney function and ensure rapid recovery.

Adrenal Tumors: Expert diagnosis and treatment of both benign and malignant adrenal growths.

Personalized Care tailored to your unique needs and diagnosis.

Compassionate Support throughout your cancer journey, from diagnosis to recovery and beyond.

Featured Health Professionals

Local Professionals Empowering and Encouraging People To Live Healthier

Rami Makhoul, MD

Meet Rami Makhoul

After completing his fellowship in Colon and Rectal Surgery at Robert Wood Johnson University Hospital-Rutgers University, Rami Makhoul, MD, joined Holy Cross Health Hospital in 2014 to serve patients of the DMV area.

Upon graduating from medical school, Dr. Makhoul first completed his internship in General Surgery at the University of Massachusetts Medical School. He, then, completed his residency training in General Surgery at the George Washington University Hospital in Washington, DC.

During his residency training at GW, he spent a year in clinical research where he published some of his work on colon and rectal cancer, and the use of Robotic Surgery in various abdominal procedures performed in the Colon and Rectal Surgery field. He continued with his passion for research and published peer-reviewed articles during his fellowship training. Several of his work, was presented at national conferences including the American Society of Colon and Rectal Surgery, and the Society of American and Gastrointestinal and Endoscopic Surgeons annual conferences.

Dr. Makhoul diagnoses and treats various diseases of the colon, rectum, anus, and other parts of the GI tract using national standards and guidelines. He has a special interest in treating colon and rectal cancer using advanced surgical minimally invasive techniques including robotic, laparoscopic, and transanal minimally invasive surgery. Dr. Makhoul is Board Certified in both General Surgery and Colon and Rectal Surgery and is an active member of the American Society of Colon and Rectal Surgeons education committee.

As part of his commitment to surgical training and education, Dr. Makhoul serves as a Clinical Instructor of Surgery at the George Washington University. Dr. Makhoul is currently the chairman of the Department of Surgery at Holy Cross Hospital in Silver Spring. He also holds the position of Cancer Liaison Physician for Holy Cross Health, where he manages and overlooks clinically related cancer activities in collaboration with the Commission on Cancer and American Cancer Society. When he is away from the office, Dr. Makhoul may be found spending time with his family. Dr. Makhoul enjoys skiing, cycling, scuba diving, tennis, and traveling.

Matthew Skancke, MD

Meet Matthew Skancke

Dr. Matthew Skancke is a colon and rectal surgeon serving Maryland, Virginia and Washington, DC. Dr. Skancke grew up in Great Falls, VA earning his undergraduate degree in electrical and biomedical engineering at the University of Virginia’s engineering school. After engineering school he spent three years working for a Swiss based GPS company U-blox America while going to night school to finish his premedical degree. He then attended medical school at the University of North Carolina at Chapel Hill where he did basic science research of mesenchymal stem cells to progress the field of regenerative medicine. Dr. Skancke continued his General Surgery training at the George Washington University Hospital and subsequently did his Colon and Rectal Surgery Fellowship at the Cleveland Clinic.

During his training, Dr. Skancke has published over 24 peer reviewed publications, authored three book chapters, and presented over 45 times at national conferences in medicine and surgery. He has participated in clinical trials of bench top and mechanical sciences and is a member of the American College of Surgeons and the American Society of Colon and Rectal Surgeons. Dr. Skancke is Coard Certified in General Surgery and Colon and Rectal Surgery and is an active member of the American Society of Colon and Rectal Surgeons Quality and Safety National committee.

Outside of work, Dr. Skancke has found a new love for French cooking and North Carolina barbeque. To offset these vices, Dr. Skancke also enjoys running and powerlifting in his free time.

Featured Health Professionals

Michael Whalen, MD

Meet Michael Whalen

Associate Professor of Urology | Chief, Urologic Oncology Director, Genitourinary Multi-Disciplinary Clinic | Site Director, National Cancer Institute Fellowship in Urologic Oncology | Urology Residency Research Mentor

Dr. Michael J. Whalen, MD, is an accomplished Associate Professor of Urology and Director of Urologic Oncology at the George Washington University School of Medicine. A graduate of Harvard College and Columbia College of Physicians & Surgeons, he completed residencies at New York Presbyterian Hospital-Columbia University Medical Center. Dr. Whalen holds board certification in Urology and underwent specialized fellowship training in Robotic and Minimally Invasive Urologic Oncology at Mount Sinai Hospital and Urologic Oncology at Yale-New Haven Hospital.

Renowned for expertise in urological cancers, Dr. Whalen excels in both major open and minimally invasive surgeries, including pioneering the supine-position robotic retroperitoneal lymphadenectomy for advanced testicular cancer. His clinical focus spans prostate, bladder, kidney, and testis cancers, utilizing advanced techniques like robotic surgery with the DaVinci system and transperineal prostate fusion biopsy.

Apart from clinical practice, Dr. Whalen is actively involved in clinical outcomes research, contributing to numerous peer-reviewed journals. Recognized as a dedicated mentor, he received the Teacher of the Year award from Urology residents in 2019. Acknowledged for excellence, Dr. Whalen was awarded the Commission on Cancer, Cancer Liaison Program Outstanding Performance Award in 2021 and listed as one of Washingtonian’s Top Doctors in 2023. His commitment extends to education and cutting-edge clinical trials, solidifying his reputation as a leading figure in urology.

Suzan Ebrahimi, MD

Training, Degrees:

• UCLA (University of California – Los Angeles) – Internal Medicine Residency

• Georgetown University – Gastroenterology Fellowship

Dr. Ebrahimi specializes in the diagnosis and treatment of the digestive tract:

SCREENING COLONOSCOPY

Intestine • Colon/Rectum

Featured Health Professionals

E. Taylor Meiser, Jr., DDS

Meet E. Taylor Meiser, Jr.

Degrees/Training: DDS, University of Maryland Dental School; General Practice Residency, San Diego Naval Hospital; Prosthodontics Residency, Naval Dental School, Bethesda; U.S. Navy Dental Corps Officer, Commander, USN, (retired).

Professional Memberships: American Dental Association, Maryland State Dental Association, Anne Arundel County Dental Society, Annapolis Dental Study Club, Chesapeake Implant Study Club, University of Maryland Alumni Association.

Practice Philosophy: To follow the “Golden Rule” in all aspects of professional dental care, providing outstanding quality dentistry in a caring, comfortable and comprehensive manner. Lighthouse Family Dentistry will “Light Up Your Smile.”

Shawn Samad, DDS

Raised in Severna Park, MD, Dr. Shawn Samad is the proud son of Fred and Mary Samad, a working class couple that raised their children in a humble household. Dr. Samad grew up to be an avid sports fan. He still plays soccer regularly and is a HUGE Ravens fan!

He went to college in Westminster, MD, where he received his Bachelor of Science degree with majors in Biology and Chemistry with a special focus on Physics. He then continued his education at UMBC where he worked on a Masters degree in Biology. And finally attended University of Maryland School of Dentistry where he received his Doctor of Dental Surgery (DDS) degree.

Although he has achieved one of the highest educational degrees, he still continuously partakes in Continuing Education (CE) regularly to learn about all of the newest, latest, and greatest techniques and technology. He has received extensive training and experience in Cosmetic Dentistry, Endodontics (Root Canals), Oral Surgery, Implantology, and Invisalign Orthodontics. His belief is Knowledge is Success!!

And it must be mentioned that his office is filled to the teeth (Pun intended) with world class, state of the art, technology in a modern and sophisticated office layout. Dr. Samad’s motto in his work is, “Changing lives, one tooth at a time.” Come on in and meet him. You won’t be disappointed!

Meet Shawn Samad, DDS

ORTHODONTIC TREATMENT

Meet Dr. Harmon

Degrees, Training and Certificates: Master of Science in Dentistry in Orthodontics; DDS and BS from Case Western Reserve University in Cleveland, OH

Professional Memberships/Associations: Assistant Clinical Professor at the University of Maryland, Department of Orthodontics; Adjunct Assistant Professor at Case Western Reserve University, Department of Orthodontics, Cleveland OH; American Association of Orthodontists; President Mid-Atlantic Society of Orthodontists; Past President of the Maryland Society of Orthodontics; Alpha Phi Alpha Fraternity, Inc.; Former Member of Bishop McNamara High School’s Board of Directors; Former member Prince George’s County Community Education Foundation Board of Directors.

Areas of Interest: Building and networking

golf, and football

Family/Hobbies/Interests: Children, Kennedy and David

Wife: Shonda W. Harmon, MBA, MPA

Greene, Owner

Consulting Hypnosis

Healing is an awareness that you sense from your inner self (subconscious mind), that tells you that you need to explore what’s happening within yourself internally and consciously. Mind, body, and spirit (the soul) all need healing. The mind tells you what you are experiencing in the given moment. The body reacts as the mind releases the thought. The thought can be positive or negative, and the thought sends the message to the body organs, and then the organs respond to the thought.

Consulting hypnosis – helping everyday normal people with everyday normal problems – can help you with problems or situations by helping the way you interpret the thought and then respond to the thought. The thoughts that bring fear often affect the kidneys, and the thoughts that trigger anger often affect the liver and heart.

Consulting hypnosis can help you sort out everyday problems. Hypnosis helps you to become aware of your state of mind such as your thoughts, feelings, and emotions that can get trapped in the body, in your organs. A consulting hypnotist helps you to identify the state (fear, anger, sadness, depression, or love) and release it, without the use of drugs or surgery.

Going to see a consulting hypnotist is like going to talk with a friend, a person who has everyday problems too, and who has the tools to teach you how to not just cope but live.

Meet Toni Nandini Greene

Featured Health Professionals

Local Professionals Empowering and Encouraging People To Live Healthier

Craig A. Smith, DDS

General Dentistry/ Family Dentist

Meet Craig A. Smith

Dr. Craig Smith is committed to health through dentistry, ensuring you have optimal oral health which contributes to your overall health and well-being.

Quality service, advanced technology and a passionate commitment to education means patients receive the best that dentistry has to offer.

Dr. Smith’s Philosophy: Always listen to the patient and in turn respond in an educational manner so that the patient will understand.

Degrees, Training, and Certificates: Doctor of Dental Surgery (D.D.S.) - Howard University College of Dentistry; 2 Year General Practice Residency; Chief Resident - Harlem Hospital Center (Affiliate of Columbia University); Certified Invisalign Provider

Professional Memberships: National Dental Association

Areas of Interest: All phases of dentistry - cosmetic, implant, crowns and bridges, root canals, veneers, preventive care, Invisalign and whitening.

Hobbies: Mountain biking, racquetball, golfing, and boating. My interests are to continue to deliver quality dentistry and to further reach out to the community to help to increase the peace.

Additional: Many patients do not understand the importance of a healthy mouth, as health problems could arise. I want to educate all of my patients on health through dentistry.

Meet Mary B. Alexander

Dr. Mary Alexander, periodontist, obtained a Bachelor of Science degree in Biology from the University of South Carolina and continued her education in dentistry at the University of Maryland School of Dental Surgery where she received her DDS degree. Prior to and during her dental studies, Dr. Alexander received funding and support from the National Institutes of Dental Research for her involvement in the periodontal research.

After obtaining her DDS degree Dr. Alexander spent one year at the Veteran’s Administration Hospital, in general practice residency focusing her training in the area of anxiety patient management. She then attended Harvard University and earned her clinical specialty in periodontics and a doctorate in medical science. Her doctoral research was focused in the study of bone function and metabolic disease of the bone.

Dr. Alexander received extensive training in dental implantology, periodontal plastic surgery, bone regenerative procedures and sedation dentistry. All aspects of Dr. Alexander’s training are incorporated in her periodontal practice assuring patient’s thorough and comprehensive periodontal treatment.

Featured Health Professionals

Alicia Kovach, DC

Degrees/Training: Graduate of Palmer College of Chiropractic, DRX Training, Activator, Myofascial Release, Board Certified Physi cal Therapy and Webster Certification. Trained in the Thompson Technique, as well as in the latest evidence based Chiropractic treatments for Pediatric and Pregnancy Care Associations: Maryland Chiropractic Association, International Chiropractic Pediatric Association Areas of Interest: Maternity Care, Pediatric Care, Worker’s Com pensation, Personal Injury, Spinal Decompression for Herniated Discs

Hobbies: Sports Fan, Swimming, Running and spending time with her family Inspiration: Helping people restore their health naturally on a daily basis.

Most Memorable Moment: Through the use of the chiropractic care and other wellness modalities, she has seen patients go from extreme back and/or neck pain to little or no pain and the ability to return to a productive life. Patients injured through automo bile accidents or work related accidents that could hardly func tion daily in their jobs have been able to return to work and daily activities pain free.

Best Health Advice: Pay attention to your body and don’t ignore the subtle signals. Those subtle signals can lead to a quicker recovery.

Cancer Patients:

Chiropractic treatment can relieve pain and stiffness in your joints and muscles caused or intensified by surgery, chemotherapy or radiation therapy. Call our office today to find out if Chiropractic care may be right for you.

Aric Adlam, DC

Dr. Aric Adlam was born and raised in the suburbs of Detroit Michigan where he started receiving chiropractic care at the age of 2 years old. After a traumatic football injury threatened his future athletic career at the age of 16, Dr. Adlam turned down a risky spinal surgery for an all chiropractic approach. After missing only a half of a football season instead of the predicted 2 years; Dr. Adlam was back on the field. More importantly, Dr. Adlam had decided during that time that he had found his calling in life and decided to pursue a career as a Chiropractor.

Dr. Adlam received an undergraduate Bachelor of Science degree with an emphasis in Biological Sciences before entering chiro practic school. He then continued his education at Life University College of Chiropractic in Marietta, GA where he received his Doc torate of Chiropractic degree, fulfilling his dream of becoming a Chiropractor.

Dr. Adlam is highly trained in the diagnosis and treatment of soft tissue injuries often encountered in the spine, extremities and the rest of the body. He has extensive experience with the current state of the art spine rehabilitation technology and diagnostic equipment used in the treatment of spine related injuries. He has had success in treating many patients who have dealt with chron ic neck and low back pain for years as well as headaches sufferers that found no relief in the traditional medical model. He has ex tensive expertise in the treatment of whiplash injuries that often result from automobile accidents. Dr. Adlam is also well trained in the diagnosis and treatment of bulging discs in the low back and neck utilizing the latest treatment methods available.

Dr. Adlam comes from a history of highly competitive sports and takes pride in getting the high performance athlete to the weekend warrior back in the game safely and effectively. He looks forward to bringing the patients of Kovach Chiropractic and Well ness Center the best chiropractic care possible.

Kristina Anderson, DC

Dr. Kristina Anderson was born and raised in northern New Jersey. She completed her undergraduate studies at the University of Maryland, College Park where she received her Bachelor’s degree in Kinesiology. She then went on to receive her Doctor of Chiropractic degree and Masters in Applied Clinical Nutrition at New York Chiropractic College.

Since graduating, Dr. Anderson has received certifications including Rocktape, Dry Needling, Active Release Technique, FAKTR (Functional and Kinetic Treatment with Rehab), and the Webster Technique. After having to take time off from Track and Field in high school due to quadriceps tendinitis, she understands the importance of quality rehabilitation and care and continues to educate herself to better assist her patients.

Throughout her career as a chiropractor, Dr. Anderson has worked with a variety of patients including athletes, perinatal, postnatal, personal injury, adolescents, and geriatric. Dr. Anderson works tediously to ensure that maximum therapeutic benefit is achieved. Outside of work Dr. Anderson enjoys reading, watching stand-up comedy, musicals, and traveling with her husband.

H ealtH y Smile

needs of each patient. Whether you’re undergoing a complex procedure or a routine dental treatment, your peace of mind is our priority.

Patient-Centric Approach:

At Total Dental Care, we prioritize your comfort with a patient-focused approach, offering amenities such as heated chairs with massage features, ensuring a relaxed experience. Our team is dedicated to fostering a positive dental experience, emphasizing

communication and education to empower patients in making informed decisions about their oral health.

Total Dental Care stands as a beacon of excellence in dental health, providing total solutions for patients seeking comprehensive, detail-oriented care. Experience the difference with our wide range of services and patient-focused approach, ensuring your journey to a healthy smile is seamless and satisfying.

a ll- on-Four

oral health. But perhaps the biggest surprise about the all-on-four is how quickly it can transform your life.

What’s The All-On-Four Dental Implant Procedure Like?

First, either local or general anesthesia will be administered.

Second, the dentist or surgeon will prepare your mouth for the implants, which involves removing your remaining teeth that are failing. They will then remove any diseased or infected tissue from your jaw and gums. Next, they will insert the titanium screws into your jawbone. Most likely,

From page 24

they will place two implants toward the front of your mouth and two towards the back of your mouth so the “anchors” can evenly bare the force of the denture.

After the implants have been placed, they will thoroughly clean the surgical sites and suturing all the incisions. Then you’ll be taken to a recovery room where you can relax and take time to wake up from the anesthesia.

Schedule a consultation with an All-On-Four provider. It’s the best way to find out how dental implants can change your life.

3 Ways NatureInformed Therapy Can Heal a Grieving Heart

There are a lot of studies that support the healing powers of our natural world. One from 2019 published in Frontiers in Psychology found that 20 minutes a day with a goal of two hours

a week spent in nature can lower stress hormone levels.

For someone who is coping with the loss of someone special, that may be a great first step. The next step to make the most of healing time in nature is to take part in nature-informed grief therapy. It is a type of counseling that incorporates what we’ve learned about the benefits of being in nature into a care plan for grief clients. Here are three ways nature-informed therapy can heal a grieving heart.

Nature Is Cyclical

There are a lot of reminders in nature about the life cycle. Look at a fallen tree with mushrooms growing from its trunk. That can show that life can come from death. New life from old growth can be beautiful. Change and loss has a purpose in nature. And so, too, in our lives.

Nature Doesn’t Have Goals

When I am with a group taking a walk, it isn’t a fitness walk. We don’t need to do so many steps in an hour. It’s about being together, finding things that speak to us in our grief process and sharing. In nature therapy, we learn that it isn’t always how we want things to be in. A sudden storm changes our path. How do we deal with our own distress?

Nature Has Metaphors

Nature has messages all around us. When we disconnect from the human-made world, we can see things in the natural world that can illustrate our grief process. One metaphor a client discovered was in a stream. She said it was like grief because there were calm spots which then led to water going over rocks and the stream being kind of broken up. As a facilitator, it is my job to give grievers a space to find these metaphors and it’s easy when we’re in nature.

When they get out in nature, grievers can find themselves slowing down and being in the moment. They become human beings and not human doings. We need that when we’re grieving. Healing comes from being present with your emotions. A nature-informed therapist can support grievers as they become more aware of their new path without their person.

Studio 5 Hair Gallery Specializing in Restoring & Enhancing

Your Hair’s Natural Beauty

Located in scenic Southern Maryland, Studio 5 Hair Gallery is well known in the medical community for customized solutions for hair loss. We provide the finest synthetic and human hair wigs, hair extensions, and top-of-the-head hairpieces. For over 12 years, Studio 5 Hair Gallery has served its clients with compassion and excellence. call 301.884.3553 for your appointment today! Please mention this Flier when setting up your appointment.

& Women’s Hair Systems • Extensions

loss

Studio 5 Hair Gallery hair replacement specialists are empathetic to your needs at this difficult time and will do everything possible to make you feel comfortable.

GWEN BEVERLY Owner, Medical Hair Loss Specialist

Habits That Affect Teeth and Jaws

Part One

Abnormal oral habits can cause harmful tooth movements and growth patterns of the face and jaws. Common habits, such as mouth breathing, lip, nail and cheek biting, tongue sucking/ thrusting, thumb or finger sucking, and bruxing, clenching or tooth grinding are very prevalent in both adults and children. Chronic allergies and nasal congestion can also cause habits to occur at the same time magnifying and multiplying the effects.

To understand the affects of habits we must first understand the terms used to describe the results. Proper alignment of the teeth and jaws occurs when there is a balance between muscles, bones and teeth and a harmonious relationship involving horizontal and vertical growth of the face. Occlusion or malocclusion describes the way the teeth meet or bite together with a malocclusion being an abnormal bite. Overjet is the horizontal distance between front surfaces of the top teeth and that of the bottom teeth. Over bite is the amount of horizontal overlap between the top and bottom teeth. A crossbite is where a tooth (or teeth) have, a more buccal or lingual position. That is, the tooth is either closer to the cheek or to the tongue and out of proper alignment. With an openbite, there is no overlap between top and bottom teeth. A deep bite occurs when there is excessive of more than 1-2 mm of vertical overlap of the top and bottom teeth.

Crowding is the amount of overlapping of the teeth. Spacing is the

Recovery and Mental Illness

It is important to understand that persons with a disability don’t get rehabilitated in the way cars get tuned up or repaired. They are not passive recipients of services. They experience themselves as recovering a new sense of self and purpose which goes beyond the limits of their disability. Rehabilitation refers to the services made available so persons with disabilities may learn to adapt to their world. Recovery refers to real life experiences as people accept and overcome the challenge of the disability. It is the kindling of hope followed by action.

amount of gaps or space between the teeth. TMD, Temporal Mandibular Disorder, involving headaches, clicking and popping noises, stiff necks and can entail limited mouth opening.

Mouth breathing causes a variation in the vertical growth of the face which can lead to excessive growth and materialize as a gummy smile

400 Potomac Street

A psychiatric rehabilitation program offering a day component, residential, vocational and in-home support services. Let us show you how to move from the solitude of symptoms to the freedom of achievement.

Recovery is a process, not an end product. It is marked by a growing acceptance of personal limitations from which grow unique possibilities. For many it becomes an attitude, a way of life, a way to approach daily challenges.

If possible, those of us working in rehabilitation would love to manufacture the spirit of recovery and hand it to those who attend our programs as we greet them at the door. We cannot. However, all of us can work to create an environment which will nurture recovery.

To recover, people with a psychiatric disability must be willing to try and fail, and try again. A program is fail proof when a person feels he can always come back, pick up where he left off and try again. The person is welcomed, valued, and wanted.

A second point is understanding that each person’s recovery is unique. Each person is an individual and must find his own special formula for what promotes recovery or does not help. A wide variety of options are useful to the person i.e.: skills groups, social interactions, work, and self help groups.

Please see “Mental Illness,” page 61

OFFERING: Wellness and Recovery Community Center - This is a program that provides support from peers for both mental health and substance use disorders for people actively working on their recovery.

Services Offered:

Primary Care for Children and Adults

Gynecology

Weight Management

DOT Physicals

Substance Abuse (Suboxone and Vivitrol)

Janay Taylor, MSN, CRNP and Maurice Taylor, NREMT-P

DO YOU SUFFER FROM THESE SYMPTOMS?

• Severe fatigue

• Low sex drive

• Difficulty losing weight

• Depression, mood swings

• Joint and muscle pain

• Headaches

• Dry skin, brittle nails

• Itchy scalp, hair loss

• Irregular periods, hot flashes

• PMS symptoms

• Sleep problems

• Difficulty tolerating cold

• Constipation

• Allergies

• Brain fog

• Puffiness in face & extremities

Are Food Allergies Affecting You?

Food allergies happen when your body’s defense system, called the immune system, triggers immunoglobulin E (IgE) antibodies to bind with a food protein (the allergen). This activates cells throughout the body to release large amounts of chemicals such as histamine. Allergic reactions can occur throughout the body such as

the respiratory system, digestive tract, skin, eyes, ears, throat, or cardiovascular system.

Reactions usually occur within a few minutes to an hour after eating the offending food. You may first feel itching in your mouth as you start to eat the food.

Other symptoms include stuffy, itchy nose, swelling of the lips, face, tongue, throat, or other parts of your body, vomiting, diarrhea, sneezing, itchy, watery eyes, stomach cramps, red, itchy skin or a rash.

True food allergies usually begin in the first or second year of life. Childhood allergies may be converted into other “allergic” conditions like eczema or respiratory illnesses. About 40% of adults and up to 8% of children have a food allergy.

What Foods Commonly Trigger

Please see “Food Allergies,” page 61

The Ultimate Healing Restoring Body, Mind & Spirit

Energy Quantum Healing

Energy quantum healing operates on the principle that the body’s innate energy field extends beyond its physical boundaries, connecting with the Earth’s magnetic field and traversing various dimensions within the spiritual realm.

This method focuses on identifying and rectifying congested negative energy, facilitating the restoration of a harmonious flow of positive energy throughout the entire human energy system. By addressing imbalances and disturbances within this system, energy quantum healing aims to integrate the body, mind, and soul in order to foster holistic health and facilitating the healing process. Practitioners believe that resolving energy field disturbances can prevent potential physical manifestations of illness in the future.

Holistic Therapies

Meditation, sound immersion, aura, chakra balancing and healing exert a tangible impact on the body, constituting a form of vibrational medicine that may influence heart

rate, blood pressure, and brain wave patterns. Sound waves, in particular, emit vibrations that are thought to penetrate and interact with the physical body and its major systems, accessing the aura and chakra systems to alleviate spiritual blockages and alleviate tension and stress. Sessions incorporating meditation, sound immersion, and healing techniques have been shown to alleviate physical discomfort in certain individuals, as well as mitigate anxiety and depression, and address emotional imbalances and past traumas.

Keep in mind that these therapies are complementary and should be used in conjunction with conventional medical care.

Intuitive Guidance

Intuitive readings can offer an understanding of various life situations, shedding light on your life path, and providing guidance on aligning your goals with your destiny. Anticipate receiving insights aimed at addressing challenges and identifying opportunities. Gain clarity on personal growth and navigating life’s complexities, empowering you to make informed decisions and pursue positive changes.

Back pain is the second most common reason people visit physicians in the US, with neck pain close behind. The spine and adjacent tissues are pivotal in nearly all major bodily movements.

Chiropractic services are used most often to treat neuromusculoskeletal complaints, including but no limited to back pain, neck pain, pain in the joints of the arms or legs, and headaches.

Drug and Alcohol Testing also Available.

Since opening in 2003, Winters Chiropractic & Physical Therapy has remained dedicated to providing expert chiropractic, physical therapy, and DOT/CDL services. Our doctors provide tailored treatments that ensure you make the most gains at a comfortable, steady pace. The ultimate goal of any chiropractic or physical therapy program is to restore your physical health to its previous form. With our small practice, we have the advantage of maintaining personal relationships without compromising our ability to provide advance care.

Scalp Health 101 Why Your Scalp Deserves Special Attention This Fall

As the temperatures drop and the air becomes drier, many of us focus on keeping our skin moisturized and our hair looking healthy. However, one area often overlooked in our fall beauty routine is the scalp. The truth is, your scalp plays a crucial role in the overall health of your hair, and neglecting it can lead to a range of issues, from dryness and flakiness to more serious conditions like scalp dermatitis. Here’s why your scalp

deserves special attention this fall and how you can keep it in top shape. The Importance Of Scalp Health

Your scalp is an extension of your skin, and just like the skin on your face or body, it needs proper care to stay healthy. A healthy scalp provides the foundation for strong, vibrant hair, while an unhealthy scalp can lead to hair thinning, breakage, and even hair loss. The scalp is home to hair follicles, which are responsible for hair growth. If these follicles are clogged or inflamed, they can’t function properly, leading to weakened hair.

Common Scalp Issues In Fall

During the fall, the drop in humidity combined with indoor heating can cause the scalp to become dry and flaky. This can lead to dandruff, which is not only uncomfortable but can also be embarrassing. Additionally, the change in weather can exacerbate conditions like psoriasis or seborrheic

Please see “Scalp Health,” page 63

Over-the-Counter Medicines and Drug Interactions

Every day, millions of Americans use over-the-counter medicines for relief from headache or arthritis pain, coughs and colds, flu, and upset stomach. These over-the-counter medicines are effective, widely available, convenient, and cost-effective.

It is important to treat all of your medicines seriously and read all of the instructions carefully. This can help you avoid problems that may occur with all medications, including over-the-counter medicines.

Drug-drug interactions happen when a drug interacts, or interferes, with another drug. This changes the way one or both of the drugs act in the body, or causes unexpected side effects. The drugs involved can be prescription medications or over-the-counter medi-

cines. They can even be things like vitamins and herbal products.

Sometimes when two drugs interact, the overall effect of one or both of the drugs may be greater than desired. For example, both aspirin and blood thinners like warfarin (Coumadin®) help to prevent blood clots from forming. Using these medications together may cause excessive bleeding.

Other times, the overall effect of one or both of the drugs may be less than desired. For example, certain antacids can prevent many medicines from being absorbed into the bloodstream. If this happens, the medicine may not work as well or it may not work at all.

Drug-food interactions happen when a prescription medication or overthe-counter medicine interacts, or interferes, with something you eat or drink.

Drug-disease interactions hap-

Please see “Medicines,” page 66

At Kensington Pharmacy, in addition to having your prescriptions filled with speed and accuracy, you will experience one of the best services and notice the difference.

With 14 employees, Kensington Pharmacy gives a special attention to each customer that they deserve. Stop by and experience the difference.

Future Fertility A Case For Funding

Cancer Diagnosis and Future Fertility

A cancer diagnosis is arguably one of the most devastating things that can happen in the person’s life. It causes an incredible amount of stress both emotionally, physically, and financially.

What’s even more devastating is to have this diagnosis made in one’s twenties right after their marriage. The diagnosis of cancer and its subsequent

treatment can impact future fertility. This leads to another devastating problem to process at that time-impending future infertility. Infertility has been likened to loss of a loved one. In this case, the loss is of a loved one that has yet to be born. The loss felt is no different than if a live born child had passed away.

The combined pain of a new onset cancer diagnosis and subsequent treatment with the potential for future infertility is doubly devastating.

The unfortunate conundrum is that many young cancer patients are now left to financially bear the cost of medical care as well as the cost of fertility preservation. While there are resources sometimes for medical treatment, most resources do not factor in the fact that patients will need multiple doctors’ visits, will need copayments and deductibles met, will need to purchase medications, and pay for transportation to and from care centers. All these factors combined also

Please see “Future Fertility,” page 65

• Prescription Refills via On-line or Phone 24 hours a day

• Flu Shots, Shingles and Pneumavac Vaccines

• Prescription Plans including Medicare Part-D and Part-B, CVS-Caremark

• Transfer Of Your Prescriptions

• Compounding Specialists

• Wide Vitamin Selection

• Blisterpacking For Assisted Living Facilities

• BOIRON Homeopathic Remedies

• Greeting Cards, Select Books and Gifts

• Wide Home Health Care Selection Wheelchairs, Canes, Walkers, Medical Legsupport, Arthritis and Sport Aids, Bath Aids

• Toys and Books for Children

• And More

Get the Flu Shot Take the Lead In Your Health

Everyone over the age of six months old needs and should have a flu vaccine every year. The vaccines are available as an intradermal, intramuscular shot and as a nasal spray. They begin to arrive in doctors’ offices, pharmacies and clinics by mid-September.

most prevalent in the coming year. There are two basic types of viruses that can cause the flu – strain A and B. Both types can be potentially serious. “Trivalent” vaccines protect against two A strains and one B strain of flu, while newer quadrivalent vaccines protect against two A and two B strains.

Everyday Preventive Actions

The flu virus can spread by direct contact, such as sharing drinks, or through indirect contact, such as when an infected person sneezes on their hands and touches an object like the lunchroom microwave door. The influenza virus can live for 2-8 hours on surfaces.

Attraction

Every year, scientists design the vaccine to protect against the types of flu viruses that are expected to be the

In addition to getting vaccinated, the following recommendations should be considered:

• Avoid contact with sick people.

• Cover sneezes and coughs.

• Wash hands to reduce the spread of

Please see “Flu Shot,” page 61

Doesn't Your Child Deserve the Best?

Iwas born and raised in Brooklyn, New masters at Long Island University in Brooklyn New York and completed my medical degree at State University of New York at Buffalo, School of Medicine in 1991.

Loving Care Pediatrics

Janet V. Johnson, MD

many others, please call the office at 301403-8808 to schedule a visit. We look forward to seeing you at Loving Care Pediatrics— Janet Johnson MD and Staff.

My postdoctoral training was received at Howard University/District of Columbia Hospitals combined Residency Program, Department of Pediatrics in Washington, DC completed in June 1994. I served as Chief Resident for the Department of Pediatrics, January 1994. I obtained Continuity Clinic Awards from 1991 to 1993 based on partic ipation and involvement in community clinics during my residency training.

I am Licensed in Maryland, Board Certified in Pediatrics and Adolescent Medicine and a Fellow of the American Academy of Pediatrics.

In addition, I am dedicated to volunteering my time to community outreach projects, youth groups, health fairs, various church functions and committee boards as well as for those who are less fortunate. Donating of my talents, time and treasures and giving back and serving those who are in need. I am an active member in The Prince George’s Community Advisory Group and served as the Medical Director for the Mid-Maryland Mission of Mercy two day free Dental Clinic sponsored by Catholic Charities Archdiocese of Washington in August 2013.

to be recognized in the community it serves for compassionate patient service, and clinical

To create a caring environment with a commitment to foster a work environment where individual diversity is valued and recognized, also where the satisfaction of all patients regardless of their background is the fundamental goal of our every action, with the practice of medicine being recognized and honored as a uniquely noble pursuit.

I have been in Private Practice for 22 years. I practice general pediatrics: examining, diagnosing and treating most of the diseases of children from birth to 21 years of age. With referral to specialists when the need arise. The practice is certified by the Prince George’s Health Department to administer Yellow Fever Vaccination. The practice provides vaccines for overseas travel to those individuals traveling out of the country and in need of an official certificate of vaccination (Yellow Book).

make every attempt to ensure medical care to my patients is as convenient as possible. If your child becomes ill during the night you may contact the office via the answering service and speak with me for an emergent next day appointment. We also have same day appointments. Most insurances are accepted including: Aetna, Care first Blue Cross, Blue Choice, Amerigroup, Americhoice United Health care, Teamsters, Tricare, most government plans, Maryland Medicaid, self-pay, and

Practice Philosophy Janet Johnson MD and Travel Health Medicine is committed to servicing its patients, parents and community by providing excellent and compassionate health care service to a culturally diverse population that promotes the dignity and well-being of the people we serve.

Vision Statement Janet Johnson and Travel Health Medicine goal is to be recognized in the community it serves for compassionate patient service, and clinical excellence. To create a caring environment with a commitment to foster a work environment where individual diversity is valued and recognized, also where the satisfaction of all patients regardless of their background is the fundamental goal of our every action, with the practice of medicine being recognized and honored as a uniquely noble pursuit.

Company Values Core Values These core values bring to life our mission and place special demands on how we behave.

Integrity: We are consistent and honest in word and deed. Commit to the highest standards of ethical conduct, respect, competence and safety.

Quality: We provide service excellence in meeting client expectations. We ensure commitment to excellence for our patient and communities.

Respect: We behave in a way that honors self and others. There is respect for diversity and individual differences. We embrace that diversity of individuals, ideas and expressions so as to achieve better multicultural understanding of our fellow man.

Collaboration: Cultivate positive relationships while embracing diversity.

Commitment:

Where Science Meets Compassion

Our mission is to assist our patients in creating the families of their dreams, whether it be at the present or to maintain the possibility in the future.

Medical Director Dr. Famuyiwa, a double board certified fertility specialist and an advocate for personalized holistic fertility care, is at the forefront of providing state-of-the-art care based on emerging and advanced new technologies in the most compassionate of manners.

Wholelife Acupuncture

& Fitness Center

Quansheng Lu, CMD, PhD, L.Ac www.wholelifeherb.com • luquansheng@gmail.com 301-340-1066 • fax: 301-340-1090

Guest professor, Henan University of Traditional Chinese Medicine (TCM)

Chief TCM Physician, WFCMS; M.S. in TCM, Beijing University of TCM PhD in integrated medicine, China Academy of Chinese Medical Sciences Fellowship, Georgetown University & Children’s National Medical Center 3 patents, 8 books of TCM, 30 papers, 30+ years of experience in TCM

Low back pain • eczema • arthritis • allergies • cough • insomnia • paralysis obesity • nephritis • hepatitis • infertility • PMS • side effects of cancer treatment

416 Hungerford Drive, #300 Rockville, MD 20850

5022 Dorsey Hall Drive, #101 Ellicott City, MD 21042

Acupuncture For Side Effects Of Cancer

Acupuncture, an ancient practice dating back over 3,000 years, holds a prominent position within the realm of traditional Chinese medicine (TCM). Its core technique involves the delicate insertion of slender needles into specific points on the skin, meticulously chosen for their therapeutic potential.

In the realm of Chinese medicine, the concept driving acupuncture revolves around the unimpeded flow of vital energy along intricate channels known as “meridians.” According to this doctrine, when these energy pathways encounter obstructions, discomfort inevitably ensues.

The Merits Of Acupuncture Statistics from the Centers for Disease Control and Prevention unveil that annually, more than eight million Americans turn to acupuncture to address an array of health issues. Research has illuminated the efficacy of acupuncture in managing various non-cancer-related conditions, including but not limited to back pain, persistent headaches, osteoarthritis, hypertension, infertility, and the vexing specter of hot flashes. Furthermore,

Please see “Side Effects,” page 65

Screening Tests For Oral Cancer

Submitted by E. Taylor Meiser, DDS

A physical examination for oral cancer may be done during a routine oral examination by your dentist. All areas of the mouth are checked for oral cancer including the high-risk areas of the mouth such as the floor of the mouth, the front and sides of the tongue, and the soft palate. The exam will also include looking for lesions on the mucous membranes. The dentist or hygienist will also physically palpate areas of the head and neck to feel for any suspicious lumps or bumps in the soft tissue.

In addition to the physical ex -

amination, an oral cancer screening should be routine at least once a year and performed by your general dentist. Make sure your general dentist offers an oral cancer screening test in addition to the examination they will give you. This is the only way to win the battle against oral cancer.

Regular Dental Check-ups Are Important

Regular check-ups, including an examination of the entire mouth, are essential in the early detection of cancerous and pre-cancerous conditions. You may have a very small, but dangerous, oral spot or sore and not be aware of it.

Your dentist will carefully examine the inside of your mouth and tongue and in some patients may notice a flat, painless, white or red spot or a small sore. Although most of these are harmless, some are not. Harmful oral spots or sores often look identical to those that are harmless, but testing can tell them apart. If you have a sore with a likely cause, your dentist may treat it and ask you to return for re-examination.

Please see “Screening Tests,” page 65

Cancers Of the Legs and Feet

appears on sun-exposed skin surfaces. This is less with the feet. This is one of the less aggressive cancers in the body. It can cause local damage but rarely spreads beyond the skin. On the legs and feet, basal cell cancers often resemble non-cancerous skin tumors or benign ulcers.

The sun has always been viewed as the primary cause of skin cancer, due to the fact that it is often found on the parts of the body that receive the most sun exposure. This is mostly true of some bodily skin cancers, but this does not hold true for those that arise on the skin of the feet.

Skin cancers of the feet are more related to exposure to chemicals, chronic inflammation or irritation, inherited traits and viruses. Regular foot check-ups for abnormalities is very important, but unfortunately the skin of the feet is often overlooked during routine medical examinations.

Types Of Skin Cancers Of the Legs and Feet

Basal cell carcinoma frequently

Squamous cell carcinoma is the most common form of cancer of the skin of the feet. This form is mostly confined to the skin during the early stages but can spread during the advanced stages. It usually begins as a small scaly bump or plaque, which might possibly appear inflamed.

Sometimes there will be a history of recurrent cracking or bleeding. Squamous cell cancer can possibly resemble a plantar wart, a fungal infection, eczema, an ulcer, or any other common dermatological condition of the foot.

Malignant melanoma is one of the deadliest types of skin cancers known. This type of skin cancer must be discovered very early to ensure patient survival.

Melanomas may occur on the

timele SS Skin

colors, even light colored hairs, from all skin types. Treatment is very effective, and so comfortable that there is no need even for numbing cream.

A new and important part of wellness is feminine rejuvenation. Childbirth or aging can cause concerns that impact quality of life, such as leaking of urine when coughing or sneezing, vaginal dryness or less satisfying sexual function. These concerns were rarely discussed previously, but now can be addressed in many women by non-surgical treatment with the CO2RE Intima laser. There is no recovery time, and patients typically report dramatic improvements in their sense of wellbeing and quality of life. The difference between the CO2RE Intima and other treatments like radiofrequency that are advertised for feminine rejuvenation is that the CO2RE Intima is a true laser, to give quicker, longer-lasting treatment with fuller results. The first step is to consult with an expert in feminine rejuvenation, who will then devise the most appropriate treatment plan in collaboration with your gynecologist.

Be Time and Cost-Effective

The Syneron Triniti, eMatrix and eTwo lasers can rejuvenate all three layers of your skin simultaneously. You can remove sunspots and spider

skin of the foot or sometimes underneath the toenail. They are found on the soles and on the tops of the feet. As a melanoma grows it will tend to extend deeper into the skin. This becomes very serious because it may spread through the body through the

lymphatic and blood vessels. Malignant melanoma commonly begins as a small brown-black spot or bump, but in about a third of the cases, this skin cancer will lack brown

From page 7

veins, improve wrinkles and tighten your skin during the same treatment session and return to regular activities immediately afterwards.

The CO2RE, eMatrix and eTwo sublative lasers are advanced fractional resurfacing treatments for ultimate skin rejuvenation through removal of wrinkles, acne and other scars, prominent pores and skin discolorations. The CO2RE Intima laser offer true feminine (vaginal) rejuvenation to improve symptoms related to childbirth or aging such as dryness

Final Tips: Advanced dermatology and plastic surgery clinics should offer many options, including a variety of different lasers, the newest equipment and techniques, intense pulsed light (IPL) photo facials, radiofrequency and infrared skin rejuvenation. Qualified dermatologists and plastic surgeons are properly trained in all these procedures and technologies. Those who are most on the cutting edge teach and train other doctors, are Principal Investigators for the newest research, and publish scientific papers in medical journals.

Selection of the most expert doctor assures you of a sophisticated action plan that can be individualized to address your own unique pattern of aging.

Face The Future

New Acne Studies with Board Certified Dermatologist

If you are a woman 20 years of age or older and are living with mild to moderate facial acne, you may be eligible to participate in a new clinical study with approved treatments.

Dermatologic Surgeon International Teacher and Researcher in Advanced Dermatology and Plastic Surgery Technologies

Family

Spiritual

Acupuncture, a core element of Traditional Chinese Medicine (TCM), is increasingly recognized for its value in supporting cancer patients. By offering relief from symptoms and improving quality of life during and after treatments, acupuncture has become an essential complementary therapy in oncology care.

For cancer patients undergoing chemotherapy or radiation, the side effects—such as nausea, fatigue, neuropathy, and pain—can significantly impact daily life. Studies show that acupuncture can alleviate many of these symptoms, allowing patients to better tolerate their treatments and feel more energized. It’s particularly effective in reducing chemotherapyinduced nausea and vomiting, which not only improves appetite but also supports faster recovery. Acupuncture also plays a crucial role in managing cancer-related pain, reducing dependence on pain medications and minimizing their associated side effects.

Beyond its physical benefits, acupuncture addresses the emotional and psychological aspects of cancer care. Cancer patients often experience anxiety, stress, and insomnia, which can further strain their healing process. Acupuncture promotes relaxation, reduces stress, and improves sleep quality, leading to an enhanced sense of well-being.

The Value Of Acupuncture For Cancer Patients

Support From Noble Integrative Health

At Noble Integrative Health, Dr. Tierra Hardin and her team offer specialized acupuncture care tailored to the needs of cancer patients. With a holistic approach, Dr. Hardin combines her expertise in acupuncture and oriental medicine to help manage symptoms,

boost the immune system, and enhance the overall healing process. By integrating acupuncture with other holistic therapies, Noble Integrative Health creates a personalized treatment plan aimed at addressing both the physical and emotional challenges cancer patients face.

For patients seeking compassionate care and a comprehensive approach to cancer recovery, Noble Integrative Health is committed to helping individuals find relief, comfort, and renewed strength throughout their cancer journey.

new tecH

tient to see what his or her smile would look like after treatment is completed. Replacing Traditional Dental Impressions

Reducing how often traditional dental impressions need to be taken is one of the most notable benefits of this new dental technology.

For traditional dental impressions, dentists place impression material into a tray, and the patient must bite down into it for about five minutes. This can be challenging for patients.

Taking traditional impressions is not only time-consuming, but they are goopy and may not taste pleasant, making patients uncomfortable when they have to hold the trays in place for a period of time.

F lu SHot

germs. Everyone should wash their hands frequently to reduce the risk of transmitting germs to others.

• If you are sick, ill with the flu or flu-like symptoms stay home from school or work to prevent the spreading of flu to others.

Know the F.A.C.T.S. The flu symptoms can be mild or severe, and can come on suddenly – be sure you know your flu treatment options so you can be prepared. Symptoms generally appear 1-4 days after exposure to the virus.

• F – Fever

• A – Aches

• C – Chills

• T – Tiredness

• S – Sudden Onset

Hadults aged 50 or older (about 22 million people) have not been screened as recommended.

From page 19

With the digital scanner, the dentist can obtain a digital impression without using the traditional method, and the scanner may even provide better results since it is more accurate than traditional impressions. There can be more distortions with traditional impressions.

This digital tool can also be used to create bite guards for athletes or TMJ patients, as well as to track changes in a patient’s teeth over time.

Another benefit is that digital impressions also provide your dentist with the ability to compare scans from different time periods. They can overlay a present-day scan with one from the past to see how things have changed over time.

From page 53

Treatment Options

Of the treatment options available, prescription antivirals may help make your illness milder or may help you feel better faster.

Antivirals are prescription medications that actively attack the flu virus and stop it from spreading to the rest of your body. In order to be effective, antiviral medications must be taken within the first 48 hours of onset of flu symptoms.

Antivirals For Flu Prevention

Not only can antivirals help treat the flu once you have it, they can also help prevent you from getting the flu if you are exposed to the virus. For example, if a family member is diagnosed with the flu, taking an antiviral can help stop you from becoming infected.

From page 16

gallStone S

It can be severe enough to warrant hospitalization. Gallstones can also lead to other problems that can be painful as well. Acute inflammation of the gallbladder may cause severe pain leading to hospitalization and urgent surgery. An obstruction of the ducts leading from the liver may occur and if there is associated infection, patients may have pain, fever and jaundice. Gallstones can also affect the pancreas leading to pancreatitis with associated abdominal and back pain accompanied by vomiting. Many of these complications require hospitalization for management.

Gallstones are diagnosed using abdominal imaging studies such as abdominal ultrasound or CT scan. At

times, they are diagnosed during studies done for something else. Management of gallstones can be conservative with observation if there are no associated symptoms and they were diagnosed incidentally. Recommendations typically include avoidance of fatty or greasy meals to limit occurrence of symptoms. Medications have not been proven effective in eliminating gallstones. If symptoms are present then the management is traditionally a minimally invasive surgery to remove the gallbladder and the stones within. Management is typically individualized based on the patient, the clinical presentation, and the patient’s health status.

Food a llergie S

Allergic Reactions?

The foods that most often cause allergic reactions in adults are the same for women and men. They include shellfish, peanuts, tree nuts, fish, milk, eggs, wheat, and soybeans.

For some people, an allergic reaction to a food is uncomfortable but not serious; for others, an allergic food reaction can lead to death. A life-threatening reaction caused by an allergy is called anaphylaxis.

For these people, even the smallest amount of exposure – eating a food or even touching someone who is eating the food – can be dangerous. If you have anaphylactic reactions to certain foods, your doctor may give you a prescription for injectable epinephrine. You need to carry this medicine with you at all times so that you or someone you are with can give you an emergency injection if needed.

Symptoms of anaphylaxis include hoarseness, throat tightness, or a lump

From page 48

in your throat, wheezing, chest tightness, or trouble breathing, rapid heart rate, dizziness, lightheadedness, or fainting, tingling in the hands, feet, lips, or scalp, and clammy, grayish, or bluish skin.

Food Sensitivity and Foot Intolerance

If you are not suffering from a true food allergy you may be experiencing a food sensitivity, or symptoms of a food intolerance.

Do You Think You Have a True Allergy?

A study from Bastyr University has shown that a single person’s blood sent to a number of laboratories for food allergy testing had very different results depending on the lab. Unfortunately, this kind of testing can be inaccurate. Nutritional Response Testing® can be used to analyze the body to determine the underlying causes of ill or non-optimum health.

cH iropractic care

From page 27

It is important to recognize the value of support that comes from others seeking recovery from mental illness. It is difficult to convince oneself there is no hope when others around you are struggling and making progress.

Finally, attitudes are vital in providing an environment for recovery. Attitudes sometimes imply a we/they

Talk to your doctor or a hormone specialist about the benefit/risk value of hormone replacement therapy today!

HRT is safe for almost all women according to the latest medical research (Mayo Clinic: The Menopause Solution, 2018) and does not increase all-cause mortality (Journal of the American Medical Association, Sept. 12, 2018).

From page 46

approach. We are normal and they behave in a strange manner.

In reality, all of us are human and have behaved in a strange manner or differently at times in our lives. In accepting this common humanity, people can work together to improve their lives. Recovery is a process each of us uses to some extent including those diagnosed with a mental illness.

to cancer patients during their treatment trajectories. This patient-centric methodology stems from a simple yet profound inquiry: “If your own mother faced cancer, how would you desire her treatment to unfold?” Founded by Richard J. Stephenson, who personally experienced the loss of his mother to cancer, CTCA envisions a holistic and all-encompassing approach, augmenting advanced treatments with comprehensive care.

A decade ago, chiropractic physicians integrated into CTCA’s staff in response to patient demand, leading to the provision of comprehensive, unified treatment within a single establishment. In cases where patients

express discomfort due to chemotherapy-induced headaches, the treatment team might initially recommend a chiropractic adjustment instead of introducing yet another medication.

The CTCA model has significantly reshaped the perspectives of oncologists, surgeons, and healthcare practitioners nationwide when it comes to the care of cancer patients. Anchored in the concept of “Whole-Person Cancer Treatment,” coupled with an atmosphere of empathy and nurture, often referred to as the “Mother Standard of Care,” patients receive invaluable support throughout their treatment journeys.

H ammertoe

of the joint.

• Redness and swelling at the joint contracture.

• Restricted or painful motion of the toe joint.

• Pain in the ball of the foot at the base of the affected toe.

How Do You Get a Hammertoe?

A hammertoe is formed due to an abnormal balance of the muscles in the toes. This causes increased pressures on the tendons and joints of the toe, leading to its contracture.

What Can You Do For Relief?

ca Ncer

of prostate cancer among African American men may well be due to the high rate of Vitamin D deficiency in people with darker skin (which prevents the sun from creating Vitamin D).

Alcohol and tobacco use are clearly associated with increased risks of certain cancers. But other dietary influences such as saturated and trans fats and other environmental exposures can cause cancer.

So What Can You Do To Improve Your Odds?

1. Eat lots of vegetables and fruits (of different colors), limit meat and dairy, and exercise regularly. Don’t smoke (or quit if you do) and limit your alcohol intake.

2. Routine screening for the cancers we are able to screen for is very important whether or not you have a family history. This includes mammograms in women, colonoscopy to screen for colon cancer beginning at age 45, lung cancer screening in smokers (or

• Apply a commercial, non-medicated hammertoe pad around the bony prominence of the hammertoe. This will decrease pressure on the area.

• Wear a shoe with a deep toe box.

• If the hammertoe becomes inflamed and painful, apply ice packs several times a day to reduce swelling.

• Avoid heels

• A loose-fitting pair of shoes can also help protect the foot while reducing pressure on the affected toe.

• See your physician if pain persists.

From page 21

those who quit smoking in the past 10-15 years), prostate screening in men and PAP smears for women to screen for cervical cancer. As well, dermatology evaluation to screen for skin cancer can save lives.

3. If you have a family history of a particular type of cancer it would be worth discussing other testing or surveillance with your doctor and consider a referral to an oncologist or geneticist to discuss further.

4. If you are overweight or obese, weight loss will improve your odds, and there are now new options that are very effective for weight loss.

5. And finally if you notice a change in your health, if you feel a “lump” or new pain somewhere, or you just don’t feel right, it is well worth it to get it checked out. Though it may turn out to be nothing, early detection of a cancer gives you the best chance of effective hopefully curative treatment.

Scalp H ealtH

dermatitis, both of which can cause itching, redness, and flaking.

Cooler weather can make the scalp more prone to irritation, especially if you’re using styling products that contain alcohol or other drying agents. Over-washing your hair in an attempt to combat dryness can also strip the scalp of its natural oils, leading to further irritation.

Tips For Maintaining a Healthy Scalp

Moisturize: Just as you would with your skin, keep your scalp moisturized.

Exfoliate: Gently exfoliate your scalp once a week to remove dead skin cells and product buildup. This can help prevent clogged follicles and

a New model

Individuals can be in their own homes, a facility, or a Transition House residence and still benefit from a normalized environment that prevents escalation of their acute or chronic emotional challenges. Utilizing daily activities such as fitness, recreational therapy, nurse visits, Zoom sessions with doctors, and daily life coaching enables individuals to maintain a quality of life, whether they need 24/7 care or flexible supervision.

We believe that everyone deserves the opportunity to lead a fulfilling life, regardless of the challenges they face, and we are committed to providing the support needed to achieve this. Case-directed coaching is crucial for families in turmoil due to their loved one’s mental health challenges. Care management at the residence helps mentor individuals, ultimately increasing their motivation and coping skills. Consultation and coordination with the entire team enable clients to receive individualized assessments and ongoing evaluation for measurable outcomes. Whether residential placement with mental health services is short or long term, Transition House focuses on supporting families to prevent turmoil and

IFrom page 50

promote healthier hair growth.

Watch Your Diet: Your scalp health is also influenced by what you eat. Foods rich in omega-3 fatty acids, zinc, and vitamins A and E can help maintain a healthy scalp.

Manage Stress: High stress levels can contribute to scalp issues like dandruff and hair loss. Incorporating stress-reducing activities like yoga or meditation into your routine can have positive effects on your scalp health.

This fall, don’t forget to give your scalp the care it needs. By taking a few extra steps to maintain a healthy scalp, you’ll not only prevent common issues like dryness and flaking but also ensure your hair stays strong and vibrant all season long. Remember, a healthy scalp is the foundation of beautiful hair!

giving people a chance to explore their potential. Family coaching and regular residential sessions foster effective living with others.

Holistic sessions offer a wellrounded approach to care for seniors needing a more monitored living arrangement. Dedicated case management, focusing on respite, calm, reiki, and mental stimulation, ensures continued daily living enrichment. Organized team meetings with doctors and psychiatrists are essential when adjusting care plans. Transition House case management professionals assist in mediating, advocating, installing advanced technology, switching doctors if necessary, and advocating on behalf of individuals and families to existing programs and/or professionals. The variety of specialists under the Transition House umbrella creates an interdisciplinary, innovative residential model that can be implemented in any setting, no matter where a person lives. Individualized lifestyle planning fosters motivation and intrinsic rewards at any age.

For more information, call 301201-3940, email evan@livingthroughchange.com, or visit us online at livingthroughchange.com.

N depeN deNce

their independence. Preventing falls can be as basic as decluttering living spaces and removing or stowing away hazards on floors and stairs. At the very least, one can secure throw rugs and electrical cords. If any balance or mobility issue is involved, moving about with a cane or walker is a must inside and outside the home.

Balancing Dependence With Independence

Pride can get in the way of a senior acknowledging they need to make changes. That’s where a caregiver, in collaboration with a physician or other trusted person, can encourage the senior to make the changes themselves. And there are adaptive tools, technology, and other services that can help.

• A senior may not see the need for a medical alert device or may object to its cost, but being able to inform loved ones and paramedics of an emergency can avert a lifechanging, even fatal, result.

• If the only thing keeping a senior from being more socially engaged is a lack of knowledge of or access to technology, such as FaceTime, then the caregiver might be able to set them up with the software or app they need to connect.

From page 28

• If it’s a transportation issue, the caregiver may be able to take an older adult to a senior center, mall, or event space to interact with others.

• A caregiver can sometimes be the companion the older adult needs, whether just talking, playing cards or board games, exercising, cooking, or sharing meals.

• If a senior has hobbies they can still enjoy, the caregiver should facilitate participation in them.

• If a senior has professional help in the home, the family caregiver can be an advocate for their loved one and work hand-in-hand with the care provider to ensure the best outcome and that the senior’s individual needs are met.

Let a Senior Loved One Speak Because empowerment is a state of mind, the caregiver must remember that the only way they can know what the senior wants is by asking. Affording someone the dignity to speak for themselves is empowering and will help build trust. The feeling of independence that follows, no matter how small or large, can boost mood, self-esteem, and confidence.

HEALTH DIRECTORY

ACUPUNCTURE

Eastern Medical Holistic Healing Center – Angel Wood – 240-7555925 – www.Acupuncture4Wellness. Webs.com.

West Annapolis Acupuncture –Brittney de Vicq, LAc, MAc – 410375-9716 – BrittneyAcupuncture. com – Annapolis, MD.

CHINESE MEDICINE & ACUPUNCTURE

Quansheng Lu, CMD, PhD, LAc – www.WholelifeHerb.com – 301340-1066.

CHIROPRACTIC

Kovach Chiropractic & Wellness Center – Alicia Kovach, DC – 410697-3566.

Effective Integrative Healthcare –Crofton 410-774-0644 – Millersville 410729-2200 – Lanham 301-577-6556.

DENTISTRY

Cosmetic Dental FX – Judy Yu, DMD, MBA – 410-360-0440 – www. DentalFXMD.com – Pasadena, MD.

Lighthouse Family Dentistry –E. Taylor Meiser, DDS – 410-224 4411 – Annapolis, MD.

Karl A. Smith, DDS – Waldorf, MD –301-638 -4867.

DERMATOLOGY

Hema A. Sundaram, MD – Dermatology, Cosmetic & Laser Surgery – 11119 Rockville Pike, Suite #205, Rockville – 301-984-3376 – Also in Fairfax, VA.

EYE CARE

McNelly Optical, Inc. – 410-263-2692 – www.McNellyOptical.com – Annapolis, MD.

FERTILITY

Montgomery Women’s Fertility Center – 301-946-6962 – MontgomeryFertilityCenter.com – Rockville, MD.

HEALTH AND WELLNESS

Taylored 4 Life Wellness, Inc. – Gregory Taylor, MS – 301-979-9010 – Taylored4LifeWellness.com – Largo, MD.

HOME CARE

At Home Care, Inc. – 301-421-0200 – AtHomeCareInc.com – Since 1977.

HORMONES

New Day Vitality Hormone Center – 410-793-5212 – Arnold, MD and Easton, MD – NewDayVitality.com.

HYPNOSIS

Toni’s Happy Hour Yoga and Holistic Wellness Center – 301-449-8664.

INTEGRATIVE MEDICINE

Alan Weiss, MD, Annapolis Integrative Medicine – 410-266-3613 – 1616 Forest Drive, Suite #3, Annapolis, MD 21403. Taylor Integrative Health – Janay Taylor – 410-292-0483.

MEDICAL SPACE

Charles L. Feitel Company – 301-571-9333 – www.MedicalandDentalSpace.com.

MENTAL HEALTH SERVICES

Charles Co. Freedom Landing, Inc. –301-932-2737 or 301-870-3969.

House Calls, LLC – 301-346-6732 –CallingOnBeth@gmail.com – www. CallingOnBeth.net.

Luminox Healthcare Services – 240553-7970 – LuminoxHealth.com.

MRI

Washington Open MRI, Inc. – 6 Locations: 15005 Shady Grove Road, Suite #110, Rockville, MD 20850; 7399 Hanover Parkway, Greenbelt, MD 20770; 6196 Oxon Hill Road, Suite #110, Oxon Hill, MD 20745; 5530 Wisconsin Avenue, Suite #529, Chevy Chase, MD 20815; 9135 Piscataway Road, Suite #106, Clinton, MD 20735; 25 Crossroads Drive, Suite #180, Owings Mills, MD 21117 – www.WashingtonOpenMRI.com – 301-908-8279.

NEUROLOGY

Charles C. Reel, MD – Maryland Gait and Balance Disorder Center –Charlotte Hall, MD – 301-290-0395.

NUTRITION

Nutritional Healing Center – Thomas K. Lo, DC, MA – 240-651-1650 – 7310 Grove Road, Suite #107, Frederick, MD 21704 – DoctorLo.com

Good Health Nutrition Services,LLC – 1300 Mercantile Lane, Suite 12937, Largo, MD 20774 – 301-3414680 – www.ghnutritionservices. com – Dr. Florence Omerennah – Registered Dietitian/Diabetes Educator – We accept Insurance.

ORTHODONTICS

Jacqueline Brown Bryant DDS, MS, PC – Damon, Clear Braces & Invisalign for Adults And Children – Silver Spring, MD 20910 – www.SmileConstructors.com – 301-587-8750

PAIN MANAGEMENT

Georgetown Pain Management – Netsere Tesfayohannes, MD, ABA, ABAP – 301-718-1082 – 8120 Woodmont Ave., Ste 560, Bethesda, MD – 7300 Hanover Dr., Ste 204, Greenbelt, MD. Newbridge Spine and Pain Center – 301-638-4400 – www.NewbridgeSpine.com.

Metropolitan Pain & Spine – Dr. Levi Pearson, III, MD, MBA – 9501 Old Annapolis Road, Suite #305, Ellicott City, MD 21042 – www.MetropolitanSpine.com – 410-772-6312.

Pain & Rehab Center, LLC – Dr. Gelareh Naenifard, DC – 5855 Allentown Road, Suite #19, Suitland, MD 20746 – www.PainRehabCenterMD. com – 301-925-2013.

PODIATRY

Bowie Foot Care – Howard Horowitz, DPM – 301-464-5900.

Largo Foot and Ankle Health Center – Ade Adetunji, DPM – 301 386 5453.

PRIMARY CARE

Loving Care – Janet Johnson, MD –Hyattsville, MD – 301-403-8808.

SENIOR CARE

Chevy Chase Home Care. Help at a time you need it most. Any Ages. Any situations. Any shifts. MD, DC, VA – www. CHCHHomeCare.com – 202-374-1240.

St. Mary’s Nursing & Rehabilitation Center – 301-475-8000 – Leonardtown, MD – www.StMarysNursingCenter.com.

SPA (MEDICAL)

Millennium MediSpa – 301-652-9005 – www.AnythingCosmetic.com.

VETERANS

Charlotte Hall Veterans Home – 301884-8171 – Waldorf, MD. WEIGHT LOSS

The Bariatric and Hernia Institute –Dr. Etwar McBean – 240-206-8506 – www.TBHInstitute.com.

YOGA

Toni’s Happy Hour Yoga and Holistic Wellness Center – Toni Greene, Owner – 301-449-8664.

301-805-6805

F uture F ertility

impacts their ability to work during the time of such treatment. This doubly impacts their financial status because they cannot also work and earn money during such a time.

Fertility Preservation

Added to this problem is the need for fertility preservation. The unfortunate fact is that most insurance plans do not cover fertility preservation treatment. Depending on the resources of the patient and their socio economic status, if they are even on Medicaid, they will find that Medicaid has no fundings whatsoever for fertility treatment or preservation. Most additional charitable organizations set up to support fertility do not include fertility preservation for cancer patients.

Herein lies the problem. Where are such patients to turn to for help?

From page 52

Fertility clinics can subsidize some of this treatment, unfortunately there are limiting factors such as payments for independent anesthesia services, payments for medications (which price continues to rise by the day), and payment for FDA required donor screening if those patients choose to freeze their eggs or sperm not knowing if they will need a surrogate in the future. It is almost like a double penalty imposed by the current regulations to have the additional cost of the FDA screening that is uncompensated and unfunded.

I ask therefore where should such patients turn to if traditional charitable fertility organizations will not even cover them?

Previously published on Medium.com

BreaSt cancer

can be uncomfortable and may hinder arm movement, impacting daily activities. Although AWS resolves on its own, working with a Certified Lymphedema Therapist (CLT) can expedite recovery.

Brain Fog / Chemo Brain: Experiencing confusion, forgetfulness, or difficulty concentrating after chemotherapy? As an Occupational Therapist, I teach strategies to overcome this “fog,” from memory aids to engaging brain exercises.

Cancer-Related Fatigue: Distinct from typical fatigue, cancerrelated fatigue doesn’t improve with rest and affects daily functionality. Moderate physical activity, like walking, is one of the best treatments. A certified oncologic therapist can design a personalized exercise program tailored to your needs.

Lymphedema: Before treatment, consult a CLT for baseline arm measurements. This baseline helps monitor for swelling or lymphedema

From page 31

as you progress through treatment. Early diagnosis improves outcomes.

Pain: Pain can occur during or after treatment. Conditions like chemotherapy-induced peripheral neuropathy and post-mastectomy pain syndrome can limit daily activities. However, working with an oncologic therapist can alleviate this pain through tailored exercise and manual therapy.

Skin Care: Up to 60% of what you apply to your skin is absorbed into your bloodstream within 30 seconds. Keeping your skin clean and moisturized reduces the risk of lymphedema. Always consult your therapist before choosing products.

These six common side effects should be addressed by an oncologic therapist or CLT. If you or someone you know is facing cancer treatment, ask your physician for a referral to a specialized Occupational or Physical Therapist.

Screening te StS

Your dentist may notice a spot or sore that looks harmless and does not have a clear cause. To ensure that a spot or sore is not dangerous, your dentist may choose to perform a test or a biopsy.

Here is why screening and early detection are so important. In order for your dentist to do a biopsy, they need to actually see the lesion. Once a dentist can actually see a lesion with their eyes, it may be a later stage

Side eFF ectS

acupuncture shines as a safe and welltolerated option for ameliorating the side effects frequently accompanying conventional cancer treatments.

Relief From Cancer-Related Pain

An astounding 40% of individuals navigating the early or intermediate stages of cancer, and a staggering 90% grappling with advanced cancer, grapple with moderate to severe pain. Acupuncture emerges as a valuable player in the quest to alleviate cancerrelated discomfort. A recent study, featured in the Journal of Clinical Oncology , underscored the marked reduction in pain and functional impairment experienced by those receiving acupuncture, in stark contrast to their counterparts subjected to standard care.

Mitigating the Impact Of Chemo-Radiation Therapy Side Effects

The preliminary evidence signals acupuncture’s potential efficacy in alleviating a gamut of side effects triggered by chemotherapy and radiation therapy, encompassing nausea, vomiting, fatigue, pain, leukopenia, radiation-induced xerostomia, insomnia, and anxiety. Intriguingly, acupuncture appears to outshine the

antidepressant venlafaxine in terms of reducing these side effects while maintaining a more favorable adverse effect profile. Moreover, a separate trial hints at acupuncture’s role in diminishing vasomotor symptoms in breast cancer patients undergoing adjuvant tamoxifen therapy.

Enhancing

Quality Of Life

Acupuncture has the power to infuse cancer patients with renewed energy and a heightened sense of well-being. A study scrutinizing the quality of life among breast cancer patients, two years post-acupuncture treatment for hot flashes, unearthed encouraging findings. Those treated with acupuncture reported fewer incidents of hot flashes and exhibited a more optimistic outlook on life.

Navigating the Safety Labyrinth

Though generally regarded as safe, acupuncture can occasionally induce dizziness, localized internal bleeding, dermatological reactions, nerve sensitivity, or heightened discomfort, especially when administered by inadequately trained practitioners. The pivotal role of a proficient and skilled acupuncturist cannot be overstated in achieving optimal treatment outcomes.

teetH and JawS

appearance, and/or long face, narrow upper and lower arches, crowding and crossbites.

Lip and Nail biting habits are associated with the formation of spacing between the front or back teeth, crowding, and excessive overjet. Cheek Biting can be the results of crossbites. Tongue Sucking/Thrusting and Thumb or Finger sucking can cause excessive overjet,

From page 54

cancerous lesion. A screening enables your dentist to find these suspicious lesions much earlier, which can mean the difference between life and death.

Suggest that your dentist use one of the new screening technologies available today such as Vizilite Plus in addition to their visual examination so that these can be found much earlier in their development. Let’s all work together so we can win this battle against oral cancer.

From page 46

openbites, narrow jaws, crossbites, flared or bucked teeth and excessive spacing of the teeth. Bruxing or Teeth grinding can cause crowding, deepbites or worn tooth surfaces and lead to TMD.

There are many different ways to treat and stop the above habits. Orthodontic treatment solutions can involve behavioral management and appliance therapies.

tra FF ic Sa F ety

during the pandemic, there was a significant increase in late-night and early-morning fatal traffic crashes.

What can you do to protect yourself and your family beyond the obvious choices of not drinking and driving and driving at a safe speed? There is an old saying that coaches tell their athletes: “Nothing good happens after midnight”. It is best to keep young people off the road during those times. Make sure that everyone in your vehicle wears a seatbelt. I recently handled a bad car crash where a 6-year-old in a car seat was thrown face-first into the seat in front of her. While she suffered significant bruising and swelling, she eventually

healed and had no permanent injury. That highlights the value of wearing a seatbelt.

You should also review your automobile insurance policy. Do you have only minimum limits ($30,000 per person/$60,000 total per accident in Maryland. Virginia and the District of Columbia have similar minimum limits)? If you do, you are woefully underinsured to cover your medical expenses, lost wages, and pain and discomfort in all but the most minor of accidents. You should check with an attorney or experienced insurance agent to determine if you are adequately insured.

non-hormonal (copper) forms, IUDs offer long-term protection (3 to 10 years) with a high efficacy rate.

Emergency Contraception: Pills taken after unprotected sex to prevent pregnancy. They are not intended for regular use but can be a crucial backup method.

Sterilization: Permanent methods like tubal ligation for women or vasectomy for men, suitable for those who are certain they do not want future pregnancies.

Importance Of Contraception

Preventing unintended pregnancies is essential for a woman’s health and well-being. Unplanned pregnancies can lead to physical, emotional, and financial stress, impacting a woman’s life significantly.

While abortion remains a necessary and legal option, it is a medical procedure that can have complications. These may

include infection, heavy bleeding, and injury to the uterus or other organs, which can affect future pregnancies and necessitate additional OBGYN procedures. For example, scar tissue from an abortion can complicate subsequent childbirth or lead to issues like ectopic pregnancies.

Promoting Prevention

Education and access to contraception are fundamental in reducing the need for abortion. Comprehensive sex education that includes information about contraceptive options and their proper use is crucial. Healthcare providers play a vital role in counseling women on the most suitable methods based on their health, lifestyle, and reproductive goals.

Regular check-ups and open communication with healthcare providers help ensure that women are using the most effective and appropriate contraception, leading to better health outcomes and fewer unintended pregnancies.

colon cancer

In line with the Centers for Disease Control and Prevention guidelines, it is recommended that everyone receives colon cancer screening from age 45-75, but regular screening is even more critical if you have known risk factors.

If your doctor knows you’re at risk for colon cancer, they may recommend you start screening earlier, continue screening past age 75, or have more frequent screens.

Your doctor can also walk you through some ways to mitigate your risk for colon cancer.

Can I Reduce My Risk?

Yes, you can reduce your risk for colon cancer, but there’s no way to guarantee you won’t ever get it. In addition to regular screenings, you should also make lifestyle changes to support your colon health.

HypnotH erapy

How Hypnosis Helps You

Hypnotherapy is more comprehensive and arguably more beneficial than most other methods of releasing this habit. Habit cessation sessions generally include:

1. A Pre-work Ritual. You may be asked to throw away everything related to the habit and change the environment in which you engage in the habit.

2. An Educational Component. This helps to refresh your memory about the risks of continuing the bad habit and the benefits of releasing it.

3. The Goal Analysis. The hypnotherapist interviews you about your personal experience with the habit in detail so that they can customize the hypnosis to fit your unique history, behavior and attitudes.

4. The Hypnosis. You will be guided into a state of relaxation and focused concentration, where your mind is more open to suggestion. If

From page 18

For starters, eat more whole foods, especially those rich in fiber, like vegetables, fruits, and whole grains. Your doctor may also recommend eliminating or reducing your consumption of processed meats, red meat, alcohol, and tobacco.

Regular exercise and maintaining a healthy weight are other ways to support both your colon and overall health.

Research shows a strong link between diet, weight, and exercise and colon cancer risk. Even the slightest changes can have a huge impact, so talk to us about what you can do to make healthy adjustments today.

If you have more questions about your risk for colon cancer, or if you’d like to schedule a screening, don’t wait to call your gastroenterologists office to schedule an appointment.

you are in agreement with the suggestions, you are more likely to accept and follow through with them.

Therapeutic suggestions commonly address:

• early associations with the habit (reasons for starting)

• negative aspects of the habit

• secondary gains

• advantages and disadvantages of releasing this habit

• what you might miss about the habit

• beliefs about cravings and withdrawal

• help you imagine your happy future without the habit

It is beneficial to record the hypnosis and listen to it every day for a week and then as needed.

Quitting a tobacco related habit is one of the most significant steps you can take toward improving your health and reducing your risk of cancer.

legS and F eet

pigment and thus appear pink or red. These tumors may look like common moles; however, close inspection will usually demonstrate asymmetry, irregular borders, alterations in color, and/or

m edicine S

pen when a prescription medication or over-the-counter medicine interacts, or interferes, with a disease or condition that you have. For example, decongestants, which are found in many cold remedies, may cause your blood pressure to go up. This may be dangerous for people with high blood pressure.

Your risk of having a drug interaction depends in large part on how many medicines you are taking. Fortunately most of these interactions can be prevented. By taking a few simple steps, you can protect your health and avoid serious problems.

Read the labels of all over-thecounter medicines. Look for the section called “Drug Interaction Precaution.” If you don’t see it, don’t assume that no interactions will occur. Read all the information carefully to be sure.

Tell all of the doctors and pharmacists you visit about all of the prescription medications and overthe-counter medicines you use. Use a Personal Medication Record to write down information about the medicines that you use. Be sure to include those you take every day as well as

From page 57

a diameter of more than six mm. Melanomas may resemble benign moles, blood blisters, ingrown nails, plantar warts, ulcers caused by poor circulation, foreign bodies or bruises.

From page 52

those you use only once in a while. If you use vitamins or herbal products, be sure to write them down, too.

Before taking any new medication, talk to your doctor or pharmacist. Ask whether it is safe to take the new medicine with other prescription medications, over-the-counter medicines, vitamins, or herbal products that you are taking. Ask if there are any foods, drinks, or medications you should avoid while taking the new medicine. Never use prescription medicines that belong to another person, even if that person seems to have the same health problem you have. Ask your doctor or pharmacist for advice on over-the-counter medicines. Your doctor or pharmacist will help you choose the medicine that best meets all of your health needs. If you can, buy your over-the-counter medicines at the same pharmacy where you have your prescriptions filled. That way, the pharmacist can check your records to see if the over-the-counter medicines you buy could interact with the prescription medications you take.

Our Care for You Is More Than Skin Deep…

Your skin is the largest organ in your body and, together with your hair and nails, the mirror of everything that’s happening internally. After over twenty years as a fellowship-trained, Board Certified dermatologist and as a cosmetic surgeon, I am completely convinced of the positive effects of integrating medical and cosmetic treatments to balance how you look with how you feel. When that balance is missing or has been lost with age, how we look doesn’t represent who we really are inside. Others may assume that an older, stressed or worried appearance means a lack of ideas, energy and creativity. This impacts us both personally and professionally. The greatest joy of my profession is restoring the inner-outer balance for the women and men who consult me. They find it an exhilarating experience to look in the mirror, and love the reflection that’s looking back.

My team and I offer you breakthrough technology, advanced science and true artistry in a warm, compassionate and emotionally intelligent environment. We stay on the cutting edge, serving as national research and training centers - in many cases, the only centers in the mid-Atlantic and East - for expert treatment of skin, hair and nail conditions and state of-the-art techniques including lasers, fillers, Botox, fat grafting, platelet-rich plasma (PRP), chemical peels, liposuction and body contouring and vaginal rejuvenation.

My mission in my North American and global research is to elucidate the scientific basis of new and emerging technologies, and how this science can be applied to achieve the best and safest procedural outcomes. As a Principal Investigator for studies of new technologies, a national and international teacher of dermatologists and plastic surgeons, and one of a handful of experts serving as an advisor and director of advanced medical education programs, I’m confident that you will achieve the best possible results when you entrust your face and body to our hands. As a daily practitioner of yoga, I understand the value of a holistic approach. Above all, my team and I promise to give you straight answers. We’ll steer you through the hype and jargon, and help you restore the inner-outer balance that empowers us in every aspect of our lives.

Dr. Hema Sundaram, MA, MD, FAAD • Board Certified in Dermatology

• Fellow and Visiting Professor for the American Society for Dermatologic Surgery (ASDS) • Fellow of the American Academy of Dermatology.

• Premier medical training at Cambridge University (England), University of Chicago and NIH.

• Internationally recognized physician teacher, researcher and author.

• International Speaker and Course Director at Dermatology and Plastic Surgery Academies.

• International Physician Trainer and Advisor.

• North American Chairperson of the Global Aesthetics Alliance and Global Aesthetics Consensus Group for Procedural Safety.

• Author of book chapters and scientific papers in plastic surgery and dermatology academy journals.

• Author of “Face Value: The Truth About Beauty and a Guilt-Free Guide To Finding It” - selected for the National Press Club Authors’ Night.

• Quoted as an expert in leading publications including The New York Times, USA Today, Prevention, Good Housekeeping, Allure, Marie Claire, Essence, Cosmopolitan, Self and Woman’s World.

• Medical Advisor to Fitness magazine and for tv and radio shows.

• Charities supported include Skin Cancer Foundation, Breast Cancer Awareness and The Leukemia & Lymphoma Society.

Hema Sundaram, MA,

Turn static files into dynamic content formats.

Create a flipbook
Issuu converts static files into: digital portfolios, online yearbooks, online catalogs, digital photo albums and more. Sign up and create your flipbook.