Maryland September 2024

Page 1


Mary B. Alexander, DDS, DMSC General Dentistry
Sivakumar Sreenivasan, DMD Oral and Maxillofacial Surgeon Jeffrey L. Brown, DDS TMJ & Sleep Apnea
Shawn Samad, DDS Cosmetic Dentist
Karl A. Smith, DDS, MS Periodontics
Brent C. White, Jr., DDS Dentures & Denture Repairs

The mission of the Washington Open MRI is to provide the highest quality diagnostic imaging with the most patient comfort in a professional environment. Our vision at Washington Open MRI is to bring greater awareness of the unique capabilities of our Stand-Up/Sit-Down positional MRI.

We were the World’s First positional MRI center, and only available at Washington Open MRI. This unique technology provides MRI results that ARE truly superior to all others available today.

We have been providing this unique experience for our patients in a non-claustrophobic environment for almost 30 years, and for most patients, you can watch TV during your MRI scan!

In This Edition…

The articles below are provided by local health professionals for the benefit of the public. Please contact them for advice and services.

7 | Six Secrets Of Skin Health and Beauty | By Hema Sundaram, MA, MD, FAAD

8 | Testosterone Therapy Benefits Beyond Sexual Health | By Christopher Graziano, MD

9 | Understanding Menopause: A Key Phase In Women’s Health | By Ashley Pimperl, MSN, CRNP

11 | Eat Better and Get Healthy With Great-Fitting Dentures | By Karl A. Smith, DDS, MS

12 | Your One-Stop Solution For a Healthy Smile | Submitted By Total Dental Care

13 | Weight Loss With Semaglutide | Submitted by New Day Vitality Hormone Center

13 | Can Burn Injuries Get Wet | By Paul Samakow, Attorney

14 | The Importance Of the Teeth For Overall Health | By Jeffrey L. Brown, DDS

16 | Foot and Ankle Injuries | By Howard Horowitz, DPM

17 | Speech Disability and Using the Telephone | By Maryland Relay/Telecommunications

18 | All-On-Four Dental Implants | Submitted By Sivakumar Sreenivasan, DMD, MDS

19 | Are You Trying, and Failing, To Lose Weight? | By Alan Weiss, MD

20 | What Does Your Lymphatic System Do and How To Support It | By Kaitlyn Berry

20 | Invisalign | By Judy Yu, DMD, MBA 21 | Revitalize Your Look: Beauty Tips For the Changing Seasons | By Christina Tortorici-Prieto

| The Art and Science Of Beauty: Exploring the World Of Cosmetology | By Tonya Michelle, Owner

| Simplify Your Life and Health Try a Medical One Stop Shop! | By Anthony T. Hardnett, DC

23 | What Is Cryotherapy? And How Can It Benefit You? | By Anthony T. Hardnett, DC

25 | Essential Tips To Safeguard Your Back During Lifting | By Alicia Kovach, DC

25 | Benefits Of Weight Loss Surgery | By Etwar McBean, MD, FACS

27 | Tongue Tie Releases, Sleep Disorders, and Cosmetic Dentistry | By Gena Schultheis, DDS

28 | Do You Have an “Umbrella” To Protect Your Assets If Someone Sues You | By James A. Cleaver, Esq.

28 | Top 10 Things To Know About The Female Egg Freezing Process | By Yemi Adesanya-Famuyiwa, MD

29 | Your Child’s First Dental Visit | By Janet V. Johnson, MD

30 | The Integral Role Of Massage Therapy In a Healthy Lifestyle | Submitted By The Body Image

30 | Transpersonal Hypnotherapy For Weight Loss? | By Janis KC Jarvis, MA, MHt, CLC

31 | Impact Of Nutrition On Colorectal Cancer Prevention | By Matthew Skancke, MD & Rami Makhoul, MD

34-43 | Featured Dental Health + Weight Control, Exercise & Nutrition Professionals

46 | Kyphoplasty: A Breakthrough Treatment For Vertebral Compression Fractures | By Dr. Anver Khan

46 | The Ultimate Healing: Restoring Body, Mind & Spirit | By Sabrina Milanovich

48 | Traditional Chinese Medicine For Epilepsy | By Quansheng Lu, CMD, PhD, LAc

48 | Depression and Aging Adults | By Joyce Abramson, RNMS

50 | Orthodontics and Overall Dental Health | By Jacqueline Brown Bryant, DDS, MS, PC

50 | Corns and Calluses: Part Two | By Ademuyiwa Adetunji, DPM

52 | Coping With Nasal Allergies | Submitted By Kensington Pharmacy

56 | How a Trichologist Can Help | By Jaimi Jackson, Certified Trichologist, Owner

56 | How Counseling Can Help You Face Important Anniversaries When Grieving | By Jennifer Ward, LMSW

57 | The Silent Dental Disease | Submitted by E. Taylor Meiser, DDS

57 | It’s My Birthday! | By Toni Greene, Owner

MARYLAND & VIRGINIA Since 1990

Your Health Magazine is on a mission. There are far too many people, insured or not, who do not go to the doctor when they should, and in millions of cases, don’t know who they should go to, or why.

People are encouraged to buy a new house, car, cell phone or big screen TV, and those companies make themselves very visible and their products easily attainable.

Information about, and from, local healthcare providers is not easy to find, and many times those services are difficult to access.

Information and encouragement always lowers fear and trepidation about anything, and this is especially true in healthcare. While general information is available on web-sites, specific information from local providers is almost impossible for people to find. This is one of the key reasons chronic and episodic conditions are not cared for. It is our mission to:

Make A Difference By Empowering and Encouraging People To Live Healthier By Going To the Doctor When They Should.

There is a lot of evidence that the health professionals who participate in Your Health Magazine have helped many people over the years. We at Your Health Magazine salute you!

If you would like to find out how you can participate in one of our upcoming editions, please contact the office nearest you.

MARYLAND & WASHINGTON, DC OFFICE One Town Center 4201 Northview Drive, Suite 102 Bowie, MD 20716 Office (301) 805-6805 • Fax (301) 805-6808 info@yourhealthmagazine.net

VIRGINIA OFFICE Office (301) 805-6805 production@yourhealthmagazine.net

© Your Health Magazine, 2024. The magazine and all of its contents are protected by copyright. For permission to reproduce any materials in this magazine, contact publish@yourhealthmagazine.net

EDITOR-IN-CHIEF

Gregory Scott Hunter

Six Secrets Of Skin Health and Beauty For Fall and the Holidays

It’s hard to believe that fall and the holiday season are now just weeks away, even though we’re still enjoying summer. Whether our plans include social events or fun times with our friends and families, here are six breakthroughs to help you look and feel your healthiest for fall, the holidays and beyond. All are simple, safe, effective and give completely natural-looking results with no scarring or downtime.

The key to achieving the best results is to trust your face and body to a doctor who is board certified in a specialty that is recognized by the American Board of Medical Specialties as having the correct qualifications and experience to perform cosmetic procedures. These “Core Four” specialties are Dermatology, Plastic Surgery, Oculoplastic Surgery and Facial Plastic Surgery.

Ultherapy Non-Surgical Face, Neck and Body Lifting

Ultherapy, and other variants like Sofwave, is a sophisticated, laser-type ultrasound treatment that precisely tightens the muscles and skin in your face, neck, chest, arms, buttocks, thighs, knees and other areas. Ultherapy is FDA approved for nonsurgical lifting - to stimulate new collagen and elastin that lifts and tightens sagging areas, but with no scarring or recovery.

Exilis Ultra Tightening, Body Contouring and Fat-Melting Laser

Exilis Ultra is a unique laser that combines radiofrequency and ultrasound energies. It’s the latest advance on the Exilis Elite laser that gives even better and faster results. Exilis Ultra safely melts fat and tightens skin on your chin, abdomen, waist, hips, buttocks, arms and other areas with no pain or recovery time. It also provides excellent brow and cheek lifting, and even improvement of scars, cellulite and stretch marks.

Exilis Ultra has rigorous scientific studies that show its effects in specifically targeting and destroying unwanted fat cells and stimulating your skin to produce new collagen and elastin. Your skin is noticeably firmer and more glowing after treatment.

beautifully natural rejuvenation.

If you’re unsure about fillers, chances are you’ve seen bad work which is all too common. Qualifications and experience matter. A real expert uses fillers properly to deliver stunningly natural results that make you look as if you’re aging backwards. No duck lips, chipmunk cheeks or weird eyebrows!

Kim Kardashian and Omarosa from The Apprentice are just two of many celebrities who’ve perfected their curves with non-invasive body contouring lasers to reduce thigh and abdomen circumference and smooth cellulite. Omarosa has tweeted about her treatments in our clinic.

These treatments can be combined with Laser Lipo to dissolve unwanted fat in your abdomen, thighs, arms, chin and other areas. Kybella is a new injectable treatment for double chin (submental fullness) for which a select group of experts in our country have served as trainers.

Hair Laser

eTwo Sublative Lasers

Fraxel, eMatrix, CO2RE and

The newest lasers for wrinkles, pores, scars, and other skin blemishes offer excellent results with little or no down time. They deliver laser energy very efficiently to rapidly smooth and tighten skin. These lasers can be used alone or combined with Syneron Triniti or eTwo total facial rejuvenation, to remove wrinkles and fade sun spots and spider veins all in the same session, with minimal downtime.

Three separate lasers are combined in the Triniti system to achieve this: the Elos SRA, the eMatrix, and the Sublime or Refirme. Results are seen immediately and continue to improve over weeks and months. Treatment can be completely individualized for your needs and goals.

Non-Surgical Face Lifting

The truth behind the cliché of liquid or non-surgical facelifting is that your doctor must have the qualifications and knowledge to analyze your whole face in 3D and have a deep understanding of facial anatomy – to really use fillers and Botox in the best, safest and most natural way. With advanced, European-style techniques, your face can be lifted and contoured non-surgically with natural fillers like Voluma, Restylane, Juvederm, Radiesse, Belotero, RHA, and Sculptra. There are no scars, no downtime and a

Blunt cannulas are a revolutionary European technique that can eliminate bruising and discomfort from fillers. True non-surgical face sculpting is an advanced technique that goes far beyond mere wrinkle filling, and it should only be performed by an expert. It removes under-eye hollows and bags, restores youthful fullness and definition to your cheeks, lips and jawline, and can even improve a double chin.

When advanced techniques are used, fillers correct the underlying causes of aging, and can even reverse aging. Botox, Dysport, Xeomin, Jeuveau or Daxxify can be added to rebalance overactive muscles and smooth forehead wrinkles, crow’s feet, lines around your mouth, and neck wrinkles. Expert treatment can take decades off your face, while looking completely natural with none of the “frozen” appearance we associate with bad Botox.

Non-Surgical Body Contouring

For smooth, event-perfect skin, the most advanced hair laser is the new Gentle YAG Pro, which safely and quickly removes hair of all colors, even lighter colored hairs, from all skin types. Treatment is painless and very effective, and there is no need even for numbing cream.

Despite the uncertainties of aging, we can all make positive decisions to take charge of our lives. Staying fit and healthy and making meaningful changes - including a few non-surgical, no-downtime improvements - can re-connect our inner and outer personas and empower us to radiate balance, energy and vitality at any age.

Hormone replacement therapy has garnered significant attention over the last several years, with the number of men seeking treatment for low testosterone (hypogonadism) increasing dramatically. Testosterone, the primary sex hormone in men, plays a crucial role in regulating a man’s muscle mass, strength, bone health, sex drive, and fertility. We have long

Testosterone Therapy Benefits Beyond Sexual Health

known the impact of low testosterone on a man’s sexual health; however, more and more research is emerging suggesting a link between testosterone deficiency and an increased risk for cardiovascular disease and mortality.

Cardiovascular disease is the leading cause of death globally. Approximately 1 in 20 adults have coronary artery disease and hundreds of thousands of Americans die every year from heart disease. The exact cause for cardiovascular disease is not so clear cut, but it is likely a complex interplay between genetic and environmental risk factors. Unfortunately, we can’t change our genetics, but certainly we

can change our lifestyle. The most well-known modifiable risk factors include blood pressure, smoking, obesity, diabetes, cholesterol, and lack of exercise. However, newer research suggests that testosterone deficiency in men may play a role in one’s cardiovascular health. By correcting testosterone deficiency, we may help mitigate our risk of heart disease.

Hypogonadism occurs when the body produces insufficient testosterone levels. Low testosterone can occur when the testicles cannot produce testosterone (primary hypogonadism) or when there is a disconnect between our brain and our testicles, such that the testicles

Innovative Treatments

never receive the signals to produce testosterone. Hormone imbalances in men occur most often because of age related decline in our hormone production similar to the female menopause. However, there are a variety of other causes ranging from chronic medical conditions—such as diabetes, obesity, and sleep apnea—to lifestyle causes, like stress and anxiety, poor sleep, and alcohol and drug consumption. Distinguishing between the various causes of hormone imbalance is crucial to diagnosing and effectively treating low testosterone. The symptoms of low testosterone are often non-specific, but can include both physical symptoms, including low sex drive, erectile dysfunction, loss of muscle mass, and fatigue and emotional symptoms like irritability, depression, and reduced concentration.

Screening for low testosterone requires a simple blood test that is performed in the morning between 7 and 10 am. Typically, testosterone levels are highest in the morning and decline throughout the day, usually reaching their lowest levels in the evening around 7-8 pm. Given the variety of factors that can influence testosterone levels, we recommend a confirmatory blood test to ensure an appropriate diagnosis prior to starting any treatment.

There are several methods to help achieve optimum hormone levels with the goal of helping patients to feel back to their best self. A diagnosis of low testosterone can be overwhelming, but a consultation with a urologist can help you decide on the best option for replacement. The most frequently used methods include intramuscular testosterone injections or a daily cream/gel. Injections typically deliver a dose of testosterone directly into the muscle tissue on a weekly or biweekly basis, while gels are applied daily to help maintain steady levels throughout the day. Alternative options, including intranasal testosterone or oral pills. There are even long-acting testosterone injections or implantable testosterone pellets that can provide steady testosterone levels for several months.

Historically, the benefits of testosterone replacement therapy have focused on sexual health, but we are now beginning to understand the impact of our hormones on our cardiovascular health. If you have signs or symptoms of low testosterone, a simple conversation with your physician can help establish a diagnosis and develop a treatment plan.

Understanding Menopause A Key Phase In Women’s Health

Menopause marks a significant transition in a woman’s life, representing the end of her reproductive years. This natural biological process typically occurs between the ages of 45 and 55, with the average onset around 51. It is defined as the point when a woman has not had a menstrual period for 12 consecutive months.

Symptoms and Stages

Menopause is often preceded by perimenopause, a phase that can start several years before the last menstrual period. During perimenopause, women may experience irregular periods, hot flashes, night sweats, mood swings, and sleep disturbances. These symptoms result from fluctuating hormone levels, particularly estrogen and progesterone.

Once a woman reaches menopause, she enters postmenopause. In this phase, many of the symptoms experienced during perimenopause gradually diminish. However, some women may continue to experience hot flashes and other symptoms for years after their last period.

Health Implications

Menopause brings several health considerations. The decline in estrogen levels can increase the risk of osteoporosis, a condition where bones become brittle and fragile. Women in post -

Please see “Menopause,” page 66

• Severe fatigue

• Low sex drive

• Difficulty losing weight

• Depression, mood swings

• Joint and muscle pain

• Headaches

• Dry skin, brittle nails

• Itchy scalp, hair loss

• Irregular periods, hot flashes

• PMS symptoms

• Sleep problems

• Difficulty tolerating cold

• Constipation

• Allergies

• Brain fog

• Puffiness in face & extremities

You probably know family and friends whose lives were cut short by heart disease or cancer. Then you ask yourself “Is there any way to keep that from happening to me?” The answer is “yes.” Today there is a simple non-invasive test that can often identify these illnesses in their earliest stages, when they can most effectively be treated and cured.

It’s called the Virtual Physical. The Virtual Physical takes less than twenty minutes and is a safe, painless, high-speed full Body, Heart and Colon scan. It has already saved many lives by uncovering many illnesses like cancer, heart disease, aneurysms, and tumors.

The Virtual Physical is a test that gives you the advantage in finding diseases and abnormalities at their early stages, long before symptoms occur.

Make the choice that could save your Life.

Eat Better and Get Healthy With Great-Fitting Dentures

Dentures are a good replacement option for patients who are missing all of their teeth, but only if they fit well. What Makes Dentures Loose?

Impact on the bone by continuous hitting of a denture against the jaw every time you eat can make the bone underneath the denture go away. This causes the denture to become loose and slip. It may create the need for using paste or other means to hold the denture in place. Slipping dentures can make eating certain foods very difficult for patients.

How Can Dentures Fit Well

For A Long Time?

Dental implants can be placed under the denture. Implants have offered the possibility of fully replacing teeth for over 30 years and are very safe and effective. When you make the denture stable by “snapping” it onto dental implants, you can provide a better level of comfort for the denture-wearer, and create new strength for eating the foods patients love.

Dental implants are very much like your natural teeth. They are quite easy to get used to, and they can reduce the amount of stress to the bone and jaw by helping provide an anchor for support. The implant acts as a natural root to help prevent additional bone deterioration and helps to deliver long lasting function.

Does Every Denture-Wearer Qualify?

This depends on the amount of bone loss that has already taken place. If the denture has been in place for many years and the ridge of bone under it is very thin, you may need to have a special scan done to decide if you are a candidate for the procedure. This scan will also look for any other defects that may be present to make sure you are healthy.

Since implants are meant to last for a very long time, your health and

wellness are important to the outcome. How Long Does a Patient Have To Go Without Teeth?

Never. The denture is fitted to the implants, the same day the implants are placed. Typically, you are back to normal or better eating by day two or three.

Do Dental Implants Hurt?

Most patients have little to no discomfort. The surgery is done in one day, typically in about two hours. There are sedation options available for this procedure for those patients who want to relax through the procedure.

Is Treatment Expensive?

The cost of treatment varies depending on the number of implants, if a new denture needs to be made,

if the patient desires sedation, or if there needs to be more bone added to have a good result. Costs are variable and should be weighed against factors such the education of the doctor, the results from other patient experiences, and the quality of the product you are receiving.

Discover the difference dental implants can make for you.

– Dental Implants To Restore Your Beautiful Smile

– Caring & Kind Dentist & Team

– State-of-the-Art Equipment

– Laser Periodontic Therapy

– Affordable Gum Treatment

– Insurance Accepted & Filed

– Ultra-Sterile Environment

– No Referral Needed

– Comfortable Sedation Dentistry

Includes Initial Exam, Full

with Dr. Smith (Reg.

Our patients mean the world to us (and they love to refer to us as friends and family). My team works together to ensure your visit is enjoyable, and that your treatment is gentle and pain-free. We are deeply committed to help you prevent and treat periodontal (gum) disease, and to enhance your smile to improve your overall health.

Your One-Stop Solution For a Healthy Smile

Submitted By Total Dental Care

Maintaining optimal dental health is crucial for overall well-being, and finding a dental office that offers comprehensive care under one roof is a game-changer. Total Dental Care is a well-established dental practice that takes pride in providing detailed and comprehensive services in various specialties, ensuring patients receive top-notch care for their unique dental needs.

General Dental Services: Total Dental Care excels in offering a wide array of general dental services, including routine check-ups, cleanings, and preventive care. Our experienced team focuses on early detection and intervention to prevent dental issues from escalating.

Specialized Services: Whether you require orthodontic adjustments, periodontal treatments, Invisalign, dental implants, prosthodontics, oral

surgery, extractions, root canals and endodontic treatments, or restorative and cosmetic dentistry, Total Dental Care has you covered. Our specialists are experts in their respective fields, ensuring you receive tailored treatments for your specific dental concerns.

Cutting-Edge Technology: Total Dental Care stays at the forefront of dental technology, offering services such as digital intra-oral cameras, cone-beam CT scanners, and teeth-ina-day. Our committment to utilizing advanced techniques ensures effective and efficient treatments while minimizing complications.

Sedation Options: Understanding the anxiety some patients may feel, Total Dental Care offers laughing gas, oral sedation and IV general anesthesia options. Our goal is to create a comfortable and stress-free environment, catering to the individual

Please see “Healthy Smile,” page 61

Weight Loss With Semaglutide

Semaglutide injections are part of a prescription-based, medically supervised weight loss program which also incorporates healthy eating and exercise.

Originally prescribed for patients with type 2 diabetes, semaglutide is used to help with weight loss in those who are overweight or obese and also suffer from high blood pressure, high cholesterol or type 2 diabetes.

Semaglutide (known under the brand names Ozempec and Wegovy) targets areas of the brain that regulate appetite and food intake. It also helps the pancreas release the right amount of insulin when blood sugar levels are high, smoothing out the extreme highs and lows that negatively impact hunger and metabolism.

Sixty to 70 percent of midlife

women experience weight gain as they approach menopause. Unfortunately, throughout perimenopause, the rate of fat gain doubles and lean mass declines. In addition, fat distribution shifts and body composition changes, leading to an increased risk of cardio-metabolic disorders, including high blood pressure and obesity.

According to a large doubleblind, placebo-controlled study of semaglutide effectiveness published in New England Journal of Medicine, adults who received semaglutide injections lost an average of 12.4% of their initial body weight compared to individuals who received placebo. Losing 5% to 10% of body weight has been associated with a reduced risk of cardiovascular disease in adult patients with obesity or those who are overweight.

If your weight loss efforts need a boost, consider weekly semaglutide injection therapy.

Got hormones?

The Importance Of the Teeth For Overall Health

Did you know that your teeth are particularly important to your overall health? Not only do your teeth allow you to chew your food in preparation for digestion, but the teeth also support the jaw joints and your airway as

well. Most people are well aware that teeth are needed for chewing food –that is obvious. The ability to chew is really important in maintaining digestive health. If you are missing teeth, the food will be broken down less which means your stomach and other digestive organs have to work harder. This can lead to reflux and other health problems.

Another important function of the teeth is to maintain the airway (to a certain degree). This is right, if you pull out teeth, you end up collapsing the airway to some extent. Let’s look at this a bit more. In the past, it was quite common to extract teeth – bicuspids usually – to make orthodontics go easier. It was so much easier to line up the teeth if they were

We Are NOT Your Typical Dental Office

Dr. Jeffrey Brown has limited his practice to focus only on TMJ Disorders, Craniofacial Pain Management and Sleep Apnea. By fixing slipped discs in the jaw joints, Dr. Brown can significantly reduce the pain patients experience in the head/neck region and other symptoms associated with jaw joint problems. Sleep & TMJ Therapy may be able to improve the quality of life for you or a loved one – we encourage you to contact us with any questions or concerns.

“Dr. Brown and his staff are absolutely wonderful. I was diagnosed with Dystonia. I could not turn my head and had a ton of pain. My doctors offered no help and no advice besides Meds and Botox. Since having the appliance I have NO pain and I can turn my head. I would highly recommend them to anyone. I feel Dr. Brown and his staff really care about their patients and helping them to get better. They do not just numb the symptoms but fix the problem. Thank you from the bottom of my heart. I feel like the old me again!”

- D. Thomas

“My daughter has been treated by Dr. Stack and Dr. Brown for the last 2 1/2 years, and we are very fortunate to have found them. Prior to that she was being treated by a neurologist at a Children’s hospital. She was on medications for tics and associated muscle pain, OCD/repetitive thoughts, sleeplessness and more (all possibly associated with Tourettes). Drs. Stack and Brown installed spacers to alleviate pressure on nerve bundles in the jaw, and subsequently braces to complete the process. Her symptoms have diminished significantly. She is off medication, her tics have all but disappeared, she can concentrate better in school, and she is once again cheerful and relaxed.”

- Susan

less crowded. Unfortunately, time has shown repeatedly that pulling teeth can cause the upper and lower jaws to drop backward at a supine position. This reaction just closes up the airway and makes breathing more difficult at nighttime. This is where sleep apnea can begin. Too many people have had their bicuspids excised and now pay the price with poor sleep, snoring, constant tiredness, and cognitive difficulties due to lack of good sleep. An aspect of the teeth that is poorly understood is the connection to the temporomandibular joint or the TMJ. When the teeth are just too short, this means the condyle (top of the jawbone) can go too deeply into the socket and put pressure on the protective disc up in the joint. This can lead to head and neck pain and a host of other health problems. This is where a proper orthodontic analysis needs to be done. An MRI of the TMJs might be appropriate to determine if the vertical height of the teeth is enough to support the TMJs or not. A CBCT x-ray is also important to determine if the condyles are properly situated in the joints. If it is determined that the vertical height of the teeth is insufficient, then it is relatively straightforward to erupt or lift the teeth taller to better support the joints. It’s actually pretty amazing that this kind of analysis is not routine when it comes to doing orthodontics. Proper support for the jaw joints allows the condyle and disc system to operate properly.

As more and more physicians and dentists learn about the importance of teeth for good overall health, awareness will increase, and people will be more attentive to keeping their teeth in good shape for the long term. They will also become more aware of how good dental health means better sleep and better health for the body overall.

Jeffrey L. Brown, DDS
Jeffrey L. Brown, DDS

• Natural, safe, laser light energy is pulsed and absorbed by the subcutaneous tissue.

• Supercharges the body’s metabolism through ATP synthesis to burn fat as energy.

• Waste products are expelled from the body via sweat, urine and respiratory exhaustion.

• The body continues to burn fat for up to 4 hours after treatment.

• Collagen and elastin production is increased within the skin layers to rejuvenate and repair skin cells addressing cellulite, skin laxity and stretch-marks.

Dentures & Denture Repairs

Foot and Ankle Injuries

Broken bones, dislocations, spr-ains, contusions, infections, and other serious injuries can occur at any time. Early attention is vitally important. Whenever you sustain a foot or ankle injury, you should seek immediate treatment from a podiatric physician.

There are lots of myths about foot and ankle injuries. Some of them follow:

Myths

• “It can’t be broken, because I can

CHARLES

move it.” False; this widespread idea has kept many fractures from receiving proper treatment. The truth is that often you can walk with certain kinds of fractures.

• “If you break a toe, immediate care isn’t necessary.” False; a toe fracture needs prompt attention. If X-rays reveal it to be a simple, displaced fracture, care by your podiatric physician usually can produce rapid relief. However, X-rays might identify a displaced or angulated break. In such cases, prompt realignment of the fracture by your podiatric physician will help prevent improper or incomplete healing. Often, fractures do not show up in the initial X-ray. It may be necessary to X-ray the foot a second time, seven to ten days later.

• “If you have a foot or ankle injury, soak it in hot water immediately.” False; don’t use heat or hot water on an area suspect for fracture, sprain, or dislocation.

Please see “Foot Injuries,” page 61

Speech Disability and Using the Telephone

If you have difficulty speaking due to cerebral palsy, Parkinson’s disease, stroke, traumatic brain injury or other condition, you do not have to struggle to communicate over the telephone. Technologies and services are available to make sure people who have difficulty speaking can use the telephone to conduct business, make appointments, and keep in touch with friends and loved ones every day.

Maryland Relay is a free public service that enables people throughout Maryland who are Deaf, hard of hearing, late-deafened, DeafBlind or have difficulty speaking to stay connected by phone. Easily accessed by dialing 7-1-1, Maryland Relay offers a variety of services that are available 24 hours a day, 365 days a year, to meet each person’s needs.

Speech-to-Speech (STS) Relay service is designed specifically for people who can hear but have mild to moderate difficulty speaking over the telephone. During an STS call, the user is connected with a Maryland Relay STS Operator who is specially trained to be able to listen carefully to the STS user. The Operator may revoice everything the STS user says, or only re-voice when needed, depending on the user’s preference. The STS user then hears the other person’s response spoken directly to him or her.

STS users can set up personal call preferences through a Customer Profile where they may provide a standard greeting that may be used when placing and receiving calls. By setting up a Customer Profile, STS users can also save a list of up to 50 speed dial numbers, a chosen long-distance provider, and more.

Many individuals who have difficulty speaking are best understood when they can be seen. That is why Maryland Relay also offers Visually Assisted STS, which gives the user the opportunity to also use gestures and other visual cues during STS calls. Vi-

sually Assisted STS establishes a live video connection between the user and the Operator by using a webcam and a computer with Skype software. The Operator uses visual cues such as mouth movements, facial expressions, and other gestures to better understand the user’s side of the conversation and his or her intended meaning.

Maryland Relay provides people who have difficulty speaking with the opportunity to be better understood over the telephone. For more information about STS service from Maryland Relay, please visit mdrelay.org or call 800-552-7724 (Voice/TTY) or 443453-5970 (VP).

*Skype is a trademark of Skype, and Maryland Relay and is not affiliated, sponsored, authorized or otherwise associated with the Skype group of companies.

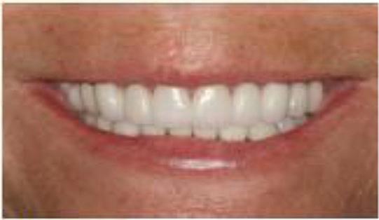
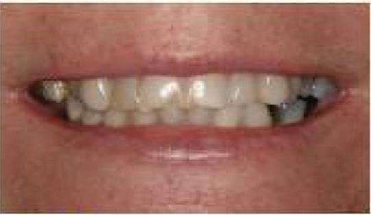
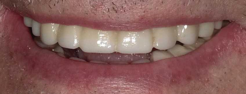
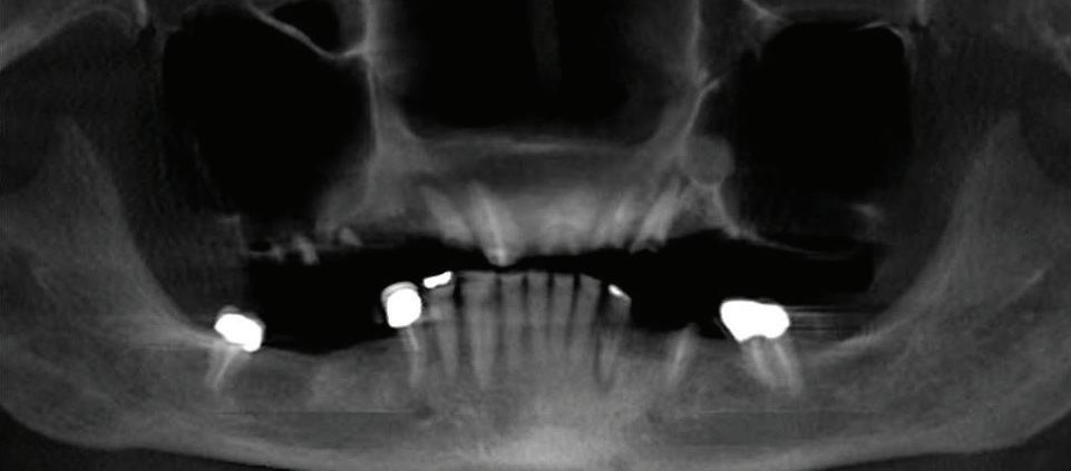
Can just four implants replace all of the teeth on the top or the bottom of your mouth? Thanks to advances in dental implant technology, that answer is a resounding yes.

Tooth loss is extremely common among adults, especially as we age. Rather than living with the discomfort and hassles of dentures, many people are opting for what is called “all-onfour” dental implant restoration.

An implant is a small titanium screw

that fits inside your jawbone and replaces the root-part of a missing tooth. Minor surgery is required to insert the implants. Once the implant is in place, a crown is attached to give you a highly realisticlooking and functional prosthetic tooth.

You do not need a dental implant for each and every one of your missing teeth. All you need is four precisely placed implants on the top of your mouth, and four on the bottom, to restore your full smile. That’s the beauty of the all-on-four. And because the implant is made of titanium, it has the unique ability to fuse to living bone and function as part of it. So eventually, the dental implant becomes part of the jawbone and serves as a strong, longlasting foundation for your new teeth.

Besides ensuring that your implants are permanently fixed in place, this bone fusion has another important benefit: it prevents future bone loss in the jaw. This helps to maintain a more youthful facial structure – and better oral health. But perhaps the biggest

Please see “All-On-Four,” page 61

Are You Trying, and Failing, To Lose Weight?

Many people struggle with weight issues. But what is important to know is that it is not your fault, it is not a sign of moral failing or weakness. Ultimately it is simply a matter of inherited biochemistry, lifestyle and living in the modern world where what is available to us when it comes to food is a novel experiment for humanity. An excellent resource that explains this is “Nature

Wants you to be Fat” by Richard Johnson, MD that I encourage many of my patients to read, and be freed of blaming themselves for their predicament.

Per recently published data, the U.S. adult obesity rate stands at 42.4%, the first time the national rate has passed the 40% mark. The national adult obesity rate has increased by 26% since 2008.

In my view, for each person there is a safe way to lose weight and to keep it off. In order to do so there are a few issues that must be addressed

First, are there underlying medical issues which make it difficult to lose weight? Examples of this are undiagnosed sleep apnea, hypothyroidism, anemia, and other nutritional deficiencies. Without a thorough evaluation to reveal these issues attempts to lose weight are almost guaranteed to fail. As well menopause and other hormonal

Please see “Lose Weight,” page 61

Revolutionizing Health Care

Wellness Lymphatic Massage

ACCEPTING NEW PATIENTS

What Does Your Lymphatic System Do and How To Support It

Your lymphatic system is critical to maintaining the normal functioning of your body. It’s composed of an extensive network of vessels, lymph nodes, and organs. On average, a person has about 700 lymph nodes, with approximately one-third located in the abdominal region. Lymphatic fluid consists of water, protein-rich fluid, and fats.

Roles Of the Lymphatic System: Protection from Infection &

Invisalign clear aligners are designed to correct mild to moderate alignment issues, including:

• Bite

Additionally, these aligners are virtually invisible and do not detract from your smile. If you – like most of us – can’t picture yourself in metal and wire braces, change the picture.

Imagine instead your teeth straightening over time, and most people not even aware that you’re undergoing orthodontics. With Invis-

Disease: The lymphatic system plays a huge role in your immune response by producing and containing white blood cells (lymphocytes) that break down bacteria and viruses.

Maintaining Body Fluid Levels: It works closely with the vascular system to collect and return fluid to the circulatory system. If compromised, fluid accumulation can cause swelling and lymphedema.

Removing Waste and Toxins: Lymph nodes filter harmful waste, toxins, and unhealthy cells from the lymphatic fluid.

Absorbing Fats: While blood capillaries absorb most nutrients, the lymphatic system absorbs fats and fat-soluble vitamins (A, D, E, and K) from the small intestine.

Signs Of Lymphatic Congestion:

• Swelling (lymphedema, phlebolymphedema, lipolymphedema)

Please see “Lymphatic,” page 66

align, you live your best life during treatment, and after – it does not have to be one or the other.

How Invisalign Works

The first part of the process calls for a friendly chat and exam with your Invisalign dentist, who will examine your teeth, take x-rays, and talk to you about your smile. Your dentist will want to know what you hope to achieve, and this exam and chat helps determine whether Invisalign is the best option for you.

If Invisalign is the right choice, impressions are taken of your smile, and the Invisalign lab uses these models to design your Invisalign clear aligners. Every couple of weeks, you change to a new aligner until you have exhausted the supply, and your new smile is ready for the world. You will be given an accurate estimate of how long you will need Invisalign therapy.

Following therapy, you are supplied with a custom retainer to remind your teeth that “straight is their new normal.”

The Benefits Of Invisalign

Aside from straight teeth and renewed confidence, Invisalign con-

Revitalize Your Look Beauty Tips For the Changing Seasons

As the seasons change, so should your beauty routine. The transition from the hot, humid days of summer to the cooler, crisper air of fall can have a significant impact on your skin and hair. Here are some essential beauty tips to help you navigate these changes and keep your look fresh and vibrant.

1. Hydration is Key With the drop in humidity, your skin can become drier. It’s crucial to switch to

ShredTruck HealthVendors

a more hydrating moisturizer to combat this dryness. Look for products with hyaluronic acid or glycerin, which help retain moisture. Additionally, don’t forget to drink plenty of water to keep your skin hydrated from the inside out.

2. Exfoliate Regularly

Exfoliation is essential to remove dead skin cells that can accumulate and cause dullness. As the weather gets cooler, opt for a gentle exfoliant to avoid irritating your skin. Exfoliating once or twice a week can help maintain a smooth and radiant complexion.

3. Protect Your Skin

Even though the sun’s rays aren’t as intense in the fall, UV protection is still necessary. Use a broad-spectrum sunscreen with at least SPF 30 to protect your skin from harmful UV rays. This helps prevent premature aging and skin damage.

4. Adjust Your Hair Care Routine

The cooler weather can make hair

Please see “Beauty Tips,” page 61 Hosted by: St. Mary’s County Department of Aging & Human Services at the University of Maryland - Southern Maryland - 44219 Airport Rd, California, MD 20619 Friday, October 11, 2024 9 a.m.-3:30 p.m. Health Screenings, Demonstrations, and Presentations will be offered Free of Charge

Skip the Line!

Do you want to skip the registration line at the Health Fair?

Attendees can register online at: http://www.stmaryscountymd.gov/aging/healthfair

Online registrants will be eligible for a special prize!

Online registration closes at 12 p.m. on Thursday, Oct. 10.

For more information, contact Sarah Miller

Website: www.stmaryscountymd.gov/aging/healthfair

Phone: 301-475-4200, ext. 1073

Email: Sarah.Miller@stmaryscountymd.gov

Medication Collection Available All Day!

Thank you to our generous sponsors:

Brought to you by the Commissioners of St. Mary’s County and the Department of Aging & Human Services

The Art and Science Of Beauty Exploring the World Of Cosmetology

Cosmetology, the study and application of beauty treatments, is a dynamic and ever-evolving field that blends creativity, science, and technology. From hair styling and makeup artistry to skincare and nail care, cosmetologists are dedicated to enhancing their clients’ appearance and boosting their confidence. This comprehensive guide delves into the various aspects of cosmetology, highlighting its significance

and the diverse opportunities it offers. The Scope Of Cosmetology

Cosmetology encompasses a wide range of beauty services. Haircare includes cutting, coloring, and styling, requiring a deep understanding of hair types, textures, and the latest trends. Skincare focuses on treatments such as facials, exfoliation, and anti-aging therapies, utilizing advanced products and techniques to promote healthy, radiant skin. Makeup artistry involves creating looks that range from everyday wear to special occasions, often requiring knowledge of color theory, facial anatomy, and product formulation. Additionally, nail care includes manicures, pedicures, and nail art, which demand precision and creativity.

Education and Training

Becoming a licensed cosmetologist requires specialized education and training. Most aspiring cosmetologists attend accredited beauty schools, where

Please see “Cosmetology,” page 61

By Tonya Michelle, Owner The Cosmo Lounge Suites

Simplify Your Life and Health

Everything seems to be getting more convenient these days, from oneclick shopping on Amazon, to being able to watch the latest movies from your couch with the push of a button. Everything sure is convenient…except for when it comes to going to the doctor. And going to the specialist. And going back to your primary care doctor for a follow up. And on and on and on.

If every other business is trying to make things more convenient for consumers, isn’t it time for healthcare to catch up?

Good news, local medical onestop shops can make quality care accessible and convenient for everybody.

Whether you’re looking for a new physician for chronic condition management, or looking to lose a few (or more) pounds for the summer, there are many benefits to having all of your medical care under one roof.

For starters, it’s convenient for you. You don’t have to worry about driving all over town to see different specialists or make multiple appointments. One-stop shops often have all the care you need right under one roof.

Another reason that a one-stopshop style of healthcare office is so attractive to patients is having a provider that is familiar with your entire health history. When you visit a one-stop shop healthcare center, you’re gaining a partner in your health. This also makes it easier for your wellness team to customize wellness and treatment plans for you.

One-Stop Medical Care For Pain: Debilitating pain can make everyday living hard to endure. Access to chiropractic treatment, physical therapy, massage therapy, acupuncture, natural pain management, and medical

pain relief for musculoskeletal conditions, injury rehabilitation and chronic pain all under one roof certainly can make one’s life easier. The most advanced chiropractic and physical therapy treatments from a team of medical providers at a one-stop shop practice seeks to address your symptoms and develop custom treatment plans that ensure long-term solutions for pain relief and various ailments.

Eliminating the need to run across town to various appointments is not only convenient, it’s the difference between patients in pain complying with recommended medical treatments, or not.

Management Of Chronic Conditions: Chronic conditions are challenging and can be difficult to manage. When left untreated or properly managed, it can lead to costly and painful complications. Another attractive benefit is when offices combine conventional medical approaches with other integrative healing modalities under one roof they can better help patients be proactive in their health, especially when it comes to managing their chronic conditions, such as diabetes.

Preventive Care: Unfortunately, doctors see it all the time; many patients “feel” fine and only see doctors when they’re visibly ill. However, preventive care is crucial, and it is so important to us. When you go to a onestop style healthcare office, your health team will work with you through education and personalized wellness plans to ensure you stay healthy year-round.

Wellness: A variety of wellness initiatives are available that you may not even know are options to helping you live healthier and feel better on a daily basis, ranging from IV supplemental therapy to bio-identical hormone pellets, to medical weight loss, to massage services. One-stop medical shops have all the treatments available so you look and feel your best every day.

What Is Cryotherapy?

Cryotherapy is the use of cold temperatures to promote the body’s natural healing and wellness. Its use dates back to ancient civilizations and has long been proven to be an effective method for improving recovery and health. Top athletes across the country have been using cryotherapy for years to recover from injuries quicker, improve performance, decrease inflammation, and feel younger. Now it’s available for everyone.

A full range of cryotherapy treatments are available from local cryotherapy and cryofacials to whole body cryotherapy, which leaves your entire body feeling refreshed and rejuvenated. We’ve compiled some of the benefits of this effective and fast treatment below.

Accelerate Recovery and Enhance Performance

One of the primary and long-held benefits of cryotherapy is the ability to accelerate recovery following strenuous activity and boost physical performance.

During the cold therapy treatment, circulation increases throughout your body, delivering more oxygen and helping remove toxins that have built up in your muscles. Muscles recover up to 50% faster, pain is reduced, and performance gains are multiplied.

Boost Metabolism

Cryotherapy’s weight loss benefits are twofold, acting both during the treatment and in the days and weeks following treatment. During the cryotherapy session, your body can burn hundreds of calories in a matter of minutes, boosting your metabolism to increase your body temperature.

Following the session, your boosted metabolism will keep working for you, helping you burn calories faster and lose weight more effectively.

Feel Rejuvenated

During the cryotherapy treatment, endorphins and adrenaline are released to help your body cope with the extreme cold temperatures. Those endorphins can increase energy levels and help combat anxiety and depression. In a one-session treatment, you’ll likely leave feeling euphoric and have a renewed sense of energy.

Natural Healing

Cryotherapy can be used to combat conditions that involve chronic pain, such as arthritis and autoimmune disorders. The cryotherapy treatment helps increase circulation and combat the symptoms of these conditions, leading to pain relief and improved overall wellness.

Just three minutes of temperatures as low as -250 degrees Fahrenheit reduces inflammation and pain, releases endorphins, and increases collagen production. Extreme cold activates the body’s natural healing mechanisms, helping to reduce reliance on NSAIDs or medications.

Stimulate Collagen

Cryotherapy works to tighten your skin and rejuvenate your appearance for a more youthful, radiant glow. Cryotherapy stimulates collagen production, resulting in anti-aging skin rejuvenation such as skin tightening, a decrease in wrinkles, reduction of cellulite, and improvement of blemishes and scars. Cryotherapy speeds up healing and can be used to treat skin conditions such as psoriasis and dermatitis.

With all these benefits and more, it’s easy to see why athletes and nonathletes alike are turning to cryotherapy for improved wellness and health.

Essential Tips To Safeguard Your Back During Lifting

Lifting heavy objects is a common task in our daily lives, whether it’s moving furniture, exercising, or working in physically demanding professions. However, it’s crucial to prioritize the safety of your back to prevent potential injuries. By following a few essential tips and techniques, you can ensure the well-being of your back during lifting activities.

1. Warm-Up and Stretching: Before engaging in any lifting activity, it’s essential to prepare your body by warming up and stretching. Perform a few minutes of light aerobic exercises such as brisk walking or cycling to increase blood flow and raise your body temperature. Next, focus on stretching your major muscle groups, particularly those in your back, legs, and shoulders. This will help improve your flexibility and reduce the risk of muscle strains or sprains.

From : : : YourHEALTH Magazine Design Shop, Heather L. Mahoney date: : : : To: : : : :

Fax # : : : For : : : :

Month : : Due Date :

2. Maintain Proper Body Mechanics: One of the fundamental aspects of safe lifting is maintaining proper body mechanics. Start by standing close to the object you intend to lift, with your feet shoulder-width apart for stability. Bend your knees, not your waist, and keep your back straight as you lower yourself down. As you lift the object, use

Any changes to this advertisement must be noted and faxed to YourHEALTH at (301) 805-6808 on date, otherwise the ad will be printed as shown below.

Please proof your ad. Check for correct addresses, phone #’s and spelling of

Please see “Safeguard Back,” page 63

YOUR APPROVAL IS REQUIRED. Please check the appropriate box, sign and fax back to YourHEALTH. ____ Ad okay as is ____ Ad okay with changes indicated ____ Please call Customer/Authorized Signature (REQUIRED)_______________________________________________Date_______________

Benefits Of Weight Loss Surgery

Many Americans struggle with their weight and its bad effects on health. The typical history is that of someone making several attempts to lose weight with efforts including fad diets, commercial diets, diet pills, exercise programs and boot camps. The person often will lose a modest amount of weight for a short time and then regain the weight and sometimes more once the effort stops.

Weight loss surgery offers an

option for long-term weight loss that is sustainable for individuals that are committed to being healthy and adopting a healthy lifestyle. Weight loss surgery is typically reserved for someone that is at least 100 pounds overweight and experiencing the health complications of obesity. It is also recommended for obese persons trying to avoid the development of health problems.

Common weight loss surgeries include the gastric bypass, sleeve gastrectomy or “gastric sleeve”, and the gastric band. Success depends on daily lifestyle changes that focus on small, protein-based meals with low caloric intake. Additionally, regular physical activity, support groups and routine office visits are necessary. Below are some benefits of weight loss surgery.

Weight Loss

The benefits of weight loss surgery start almost immediately after surgery. There is usually early weight loss, Please see “Benefits,” page 63

Alicia Kovach, DC Aric Adlam, DC Kristina Anderson, DC
By Alicia Kovach, DC Kovach Chiropractic

Tongue Tie Releases, Sleep Disorders, and Cosmetic

gaps, and misalignment.

Tongue Tie Releases In Infants

Tongue tie, or ankyloglossia, is a condition where the lingual frenulum, the small piece of tissue connecting the tongue to the floor of the mouth, is unusually short or tight. This can restrict tongue movement and impact breastfeeding, speech development, and oral hygiene. Tongue tie releases, also known as frenectomies, are minor surgical procedures that cut the frenulum to free the tongue, improving these functions. Early intervention can prevent complications and support better oral and overall health in infants.

Sleep Disordered Breathing and Sleep Apnea

Sleep disordered breathing encompasses a range of issues, including snoring and sleep apnea, where breathing repeatedly stops and starts during sleep. Sleep apnea, in particular, can lead to serious health problems like cardiovascular disease and daytime fatigue. Treatment options vary based on severity but often include lifestyle changes, Continuous Positive Airway Pressure (CPAP) therapy, and surgical interventions. However, many patients find CPAP machines uncomfortable or difficult to use consistently.

Natural Dental Solutions: Oral Appliance Therapy

Oral appliance therapy offers a natural and often more comfortable alternative to CPAP for treating sleep apnea and snoring. These custom-made devices resemble mouthguards and work by repositioning the jaw to keep the airway open during sleep. They are easy to wear and maintain, providing an effective solution for many patients.

Cosmetic Dentistry Options

Offers a range of solutions:

Teeth Whitening: This popular procedure involves bleaching teeth to remove stains and discoloration, resulting in a brighter smile. Professional whitening treatments provide more effective and longer-lasting results compared to over-the-counter products.

Veneers: Veneers are thin shells of porcelain or composite resin that cover the front surfaces of teeth. They can correct various aesthetic issues, including discoloration, chips,

Bonding: Dental bonding uses a tooth-colored resin applied and hardened with a special light to repair decayed, chipped, or discolored teeth. It’s a cost-effective option for minor cosmetic improvements.

Clear Aligners: Clear aligners like Invisalign offer a discreet way to straighten teeth. These removable aligners gradually shift teeth into their desired position without the need for traditional metal braces.

Dental Implants: For those missing one or more teeth, dental implants

provide a natural-looking solution. Implants are titanium posts surgically placed in the jawbone, serving as a stable foundation for replacement teeth.

Cosmetic Gum Treatment: Treatments for gummy smiles, where excessive gum tissue is visible when smiling, include laser gum contouring and surgical procedures to reshape the gum line.

Advances in dental health offer a variety of solutions, from addressing infant tongue ties to enhancing adult smiles with cosmetic dentistry. Whether improving functionality or aesthetics, these treatments contribute to better oral health and overall well-being.

In-House Plans Offered

Medicare Supplemental Dental Insurance Accepted!

State Insurance Accepted at Crownsville Location

• Dental Cleanings

• Implants

• Clear Aligners

• Veneers

• Implant Dentistry

• Invisalign Tx

• Bridges

• Crowns

• Laser Gum Therapy

• Tooth Extractions

• Dental Emergencies

• We Fix Broken Teeth

• Teeth Whitening

• Replacement Of Metal Fillings

• Complete Smile Makeovers Kits We Participate With Most Dental Plans!

Gena Schultheis, DDS

Do You Have an “Umbrella”

To

Protect Your Assets If Someone Sues You

In Maryland, umbrella insurance policies are available to provide added liability coverage beyond the limits of your existing automobile, home, or other insurance policies. These policies help protect you from financial losses in the event you are sued or other type of claim where the money damages awarded exceed the limits of

your primary insurance policies. The umbrella policy only applies when the limits of your policies are exhausted. By way of example, if the bodily injury liability coverage is $300,000, and you cause an accident which injures someone and they are awarded $400,000, your umbrella policy would cover the $100,000 difference. Absent such a policy, you could be required to pay the $100,000 from the assets you own. Accordingly, these polices protect your current assets and your future earnings.

Umbrella policies typically provide coverage for a variety of liability claims, including bodily injury, property damage, personal injury, and legal defense costs. They can also apply to claims that may not be covered by your primary policies, such as malicious prosecution and defamation claims.

Please see “Umbrella,” page 63

Top 10 Things To Know About The Female Egg Freezing Process In Maryland

Egg freezing, or oocyte cryopreservation, is becoming an increasingly popular option for women who wish to preserve their fertility for the future. If you’re considering egg freezing in Maryland, here are the top 10 things you should know:

1. Understanding the Process

Egg freezing involves stimulating

the ovaries to produce multiple eggs, retrieving these eggs, and then freezing them for future use. The process typically takes about 2–3 weeks from the start of ovarian stimulation to egg retrieval.

2. Choosing the Right Clinic

Maryland offers a variety of fertility clinics with experienced professionals. Research and choose a clinic with a high success rate, positive reviews, and a comfortable environment.

3. Consultation and Initial Assessment

The first step is a consultation with a fertility specialist. During this visit, you will undergo an initial assessment, including blood tests and an ultrasound, to evaluate your ovarian reserve and overall reproductive health.

Please see “Egg Freezing,” page 63

Your Child’s First Dental Visit

“First visit by first birthday.” This is the view of the American Academy of Pediatric Dentistry. Pediatricians agree. The American Academy of Pediatrics suggests that children who are at risk of early childhood cavities visit a pediatric dentist by age one.

National studies have shown that preschool-aged children are getting more cavities. More than one in four children in the United States has had at least one cavity by the age of one. Many kids get cavities as early as age two.

To prevent early childhood cavities, parents first have to find out their child’s risk of developing cavities. They also need to learn how to manage diet, hygiene and fluoride to prevent problems.

But cavities aren’t all that parents need to learn about their child’s dental health. The age one dental visit lets parents discuss the following important facts

How to care for an infant’s or toddler’s mouth

1. Proper use of fluoride

2. Oral habits, including finger and thumb sucking

3. Ways to prevent accidents that could damage the face and teeth

Attraction

4. Teething and milestones of development

5. The link between diet and oral health

After this first visit, the pediatric dentist will suggest a schedule of

Please see “Dental Visit,” page 63

Doesn't Your Child Deserve the Best?

Iwas born and raised in Brooklyn, New

masters at Long Island University in Brooklyn New York and completed my medical degree at State University of New York at Buffalo, School of Medicine in 1991.

Loving Care Pediatrics

Janet V. Johnson, MD

many others, please call the office at 301403-8808 to schedule a visit. We look forward to seeing you at Loving Care Pediatrics— Janet Johnson MD and Staff.

My postdoctoral training was received at Howard University/District of Columbia Hospitals combined Residency Program, Department of Pediatrics in Washington, DC completed in June 1994. I served as Chief Resident for the Department of Pediatrics, January 1994. I obtained Continuity Clinic Awards from 1991 to 1993 based on partic ipation and involvement in community clinics during my residency training.

I am Licensed in Maryland, Board Certified in Pediatrics and Adolescent Medicine and a Fellow of the American Academy of Pediatrics.

In addition, I am dedicated to volunteering my time to community outreach projects, youth groups, health fairs, various church functions and committee boards as well as for those who are less fortunate. Donating of my talents, time and treasures and giving back and serving those who are in need. I am an active member in The Prince George’s Community Advisory Group and served as the Medical Director for the Mid-Maryland Mission of Mercy two day free Dental Clinic sponsored by Catholic Charities Archdiocese of Washington in August 2013.

to be recognized in the community it serves for compassionate patient service, and clinical

To create a caring environment with a commitment to foster a work environment where individual diversity is valued and recognized, also where the satisfaction of all patients regardless of their background is the fundamental goal of our every action, with the practice of medicine being recognized and honored as a uniquely noble pursuit.

I have been in Private Practice for 22 years. I practice general pediatrics: examining, diagnosing and treating most of the diseases of children from birth to 21 years of age. With referral to specialists when the need arise. The practice is certified by the Prince George’s Health Department to administer Yellow Fever Vaccination. The practice provides vaccines for overseas travel to those individuals traveling out of the country and in need of an official certificate of vaccination (Yellow Book).

I make every attempt to ensure medical care to my patients is as convenient as possible. If your child becomes ill during the night you may contact the office via the answering service and speak with me for an emergent next day appointment. We also have same day appointments. Most insurances are accepted including: Aetna, Care first Blue Cross, Blue Choice, Amerigroup, Americhoice United Health care, Teamsters, Tricare, most government plans, Maryland Medicaid, self-pay, and

Practice Philosophy Janet Johnson MD and Travel Health Medicine is committed to servicing its patients, parents and community by providing excellent and compassionate health care service to a culturally diverse population that promotes the dignity and well-being of the people we serve.

Vision Statement Janet Johnson and Travel Health Medicine goal is to be recognized in the community it serves for compassionate patient service, and clinical excellence. To create a caring environment with a commitment to foster a work environment where individual diversity is valued and recognized, also where the satisfaction of all patients regardless of their background is the fundamental goal of our every action, with the practice of medicine being recognized and honored as a uniquely noble pursuit.

Company Values Core Values These core values bring to life our mission and place special demands on how we behave.

Integrity: We are consistent and honest in word and deed. Commit to the highest standards of ethical conduct, respect, competence and safety.

Quality: We provide service excellence in meeting client expectations. We ensure commitment to excellence for our patient and communities.

Respect: We behave in a way that honors self and others. There is respect for diversity and individual differences. We embrace that diversity of individuals, ideas and expressions so as to achieve better multicultural understanding of our fellow man.

Collaboration: Cultivate positive relationships while embracing

Commitment:

Where Science Meets Compassion

Our mission is to assist our patients in creating the families of their dreams, whether it be at the present or to maintain the possibility in the future.

Medical Director Dr. Famuyiwa, a double board certified fertility specialist and an advocate for personalized holistic fertility care, is at the forefront of providing state-of-the-art care based on emerging and advanced new technologies in the most compassionate of manners.

The Integral Role Of Massage Therapy

In a Healthy Lifestyle

In today’s fast-paced world, maintaining a balanced and healthy lifestyle can be challenging. One effective yet often overlooked way to support this balance is through massage therapy. Massage therapy is not just a luxury; it is a holistic approach that nurtures the mind, body, and spirit, promoting overall wellness and healing.

Massage therapy involves the manipulation of muscles, tendons, and ligaments to relieve tension, reduce stress, and improve circulation. Regular massage sessions can alleviate physical pain, enhance flexibility, and boost the immune system. By targeting specific

pressure points and muscle groups, massage therapists can release built-up tension and improve blood flow, aiding in the body’s natural healing processes. However, the benefits of massage therapy extend beyond physical relief. The mind and body are deeply interconnected, and massage therapy can have profound psychological benefits. During a massage, the brain releases endorphins, which are natural mood elevators. This release helps to reduce stress, anxiety, and depression, leading to an enhanced sense of well-being. The calming environment and soothing touch of a massage also promotes relaxation, which can improve

Please see “Massage Therapy,” page 65

Transpersonal Hypnotherapy For Weight Loss?

Hypnotherapy has emerged as a potent tool in the quest for achieving and maintaining a healthy weight. Unlike traditional diets and exercise regimens that often fail to deliver sustainable results, hypnotherapy addresses the subconscious mind, fostering lasting changes in habits and attitudes towards food and fitness.

Brain training allows your brain to see what it is doing and adjust and re-balance in response.

Understanding Hypnotherapy

Hypnotherapy involves guiding individuals into a state of focused relaxation or trance. In this state, the subconscious mind becomes more receptive to positive suggestions and imagery. This can help individuals transform unhealthy habits and establish new, healthier patterns of behavior.

The Role Of the Subconscious Mind

The subconscious mind plays a crucial role in our daily behaviors and choices. When it comes to weight loss, many people struggle with subconscious barriers that undermine their efforts. Hypnotherapy works by reprogramming these subconscious patterns, helping individuals develop a healthier relationship with food and exercise.

Key Benefits Of Hypnotherapy For Weight Loss

Lifestyle Changes: Hypnother-

Please see “Weight Loss,” page 63

Hypnotherapy by the Bay, LLC is the practice of Janis KC Jarvis, MA, MHt, CLC, and is now available to assist you in meeting your personal goals. Together we can create harmony between your desires and your subconscious so that they work in concert and you can easily manifest your goals.

Hypnotherapy By The Bay, LLC

Colorectal cancer remains one of the most common cancers worldwide, but emerging research highlights that diet plays a crucial role in its prevention. By understanding which nutrients and dietary patterns are beneficial, individuals can take proactive steps to reduce their cancer risk and support overall health.

Fiber is a key component in colorectal cancer prevention. Dietary fiber, found in fruits, vegetables, whole grains, and legumes, promotes healthy digestion and regular bowel movements. High-fiber diets are associated with a lower risk of colorectal cancer as fiber helps dilute and eliminate potential carcinogens from the digestive tract. Additionally, fiber fermentation in the colon produces beneficial short-chain fatty acids, which may further protect against cancer.

Fruits and vegetables are rich in antioxidants and phytochemicals, which play a protective role against oxidative stress and inflammation—factors that contribute to cancer development. Cruciferous vegetables such as broccoli, Brussels sprouts, and cauliflower contain compounds like sulforaphane that have been shown to have anticancer properties. Similarly, tomatoes are a good source of lycopene, an antioxidant that may reduce cancer risk.

Whole grains are another important dietary component. Unlike refined grains, whole grains retain their bran, germ, and endosperm, providing more fiber and nutrients. Studies suggest that whole grains help lower the risk of colorectal cancer due to their fiber content and the presence of beneficial compounds such as phytates and lignans.

Lean proteins like poultry, fish, and plant-based proteins (e.g., beans, lentils) are preferable to red and processed meats. High consumption of red and processed meats has been linked to an increased risk of colorectal cancer, possibly due to the presence of carcinogenic compounds formed during cooking or processing. Choosing lean protein sources and moderating intake of red meat can contribute to a lower cancer risk.

Healthy fats, particularly those from sources like olive oil, nuts, and avocados, can support overall health and

The Impact Of Nutrition On Colorectal Cancer Prevention Key Nutrients and Dietary Patterns That Can Reduce Cancer Risk

potentially reduce cancer risk. Omega-3 fatty acids, found in fatty fish like salmon, have anti-inflammatory properties that may be protective against cancer.

Calcium and vitamin D also play a role in colorectal cancer prevention.

Calcium helps maintain healthy cell function, while vitamin D is thought

to influence cell growth and apoptosis. Including sources of calcium such as dairy products or fortified plant-based alternatives, along with ensuring adequate vitamin D levels through sunlight exposure or supplements, can contribute to reduced cancer risk.

Incorporating these dietary patterns

into daily life, alongside regular physical activity and other healthy lifestyle choices, can significantly lower the risk of colorectal cancer. Focusing on a diet rich in fiber, fruits, vegetables, whole grains, lean proteins, and healthy fats, while moderating red and processed meat consumption, offers a proactive approach to cancer prevention.

Feel Confident Entrusting Your Health In Our Hands

Our practice has been providing quality care to the Washington Metro community for over 25 years. Our physicians are board-certified in colon and rectal surgery and have specialty training in the diagnosis and treatment of colon and rectal diseases and disorders. Our mission is to provide you with exceptional service in a friendly and professional environment.

Renee Bovelle, MD Ophthalmology

Your Best Vision Is Our Focus

12200 Annapolis Road Suite #116

Glenn Dale, MD 20769

EnvisionEyeandLaser.com

Board Certified, Ophthalmology by the American Board of Ophthalmology

Degrees, Training and Certificates: UCLA Medical School; Yale University Hospital for Residency; Louisiana State University for Cornea and Refractive Fellowship

Professional Memberships/Associations: American Academy of Ophthalmology; American Society of Cataract and Refractive Surgery; International Society of Refractive Surgery

Areas of Interest: All laser custom LASIK; Cataract Surgery; Botox; Dermal Fillers; Cornea Comprehensive Ophthalmology

Practice Philosophy: Envision Eye and Laser is committed to delivering superior ophthalmic care with state-of-the-art technology and patient education in a caring, compassionate environment. We cater to a diverse population of adults and work with your primary care physician to improve the quality of your overall health and life. Your best vision is our focus.

Why Eye Nutrition Is So Vital To Your Eye Health

Keeping your body healthy involves more than just eating well, exercising, and having a good social circle. Your eyes also need special care, including specific nutrients called “ocular nutrition” to maintain good vision and manage everyday stress.

One big challenge for eye health is something called oxidative stress. This happens when there’s an imbalance between harmful molecules (free radicals) and the body’s ability to neutralize them with antioxidants. This can damage your eyes and lead to vision problems or eye diseases. To combat this, your eyes need nutrients like vitamins, minerals, and antioxidants.

Understanding AMD

Age-related macular Degeneration (AMD) is a condition that affects the central part of the retina, called the macula. This part is crucial for seeing details clearly, especially in daylight. AMD is more common as people age and can lead to serious vision problems.

Several factors contribute to the development of AMD, including:

Genetics: Some people are more likely to develop AMD.

Aging: As we get older, the risk of developing AMD increases.

Oxidative Stress: This occurs when harmful molecules (free radicals) damage cells in the eye, increasing the risk of AMD.

Research shows that certain nutrients can help slow down the progression of AMD and other eye-related diseases:

Antioxidants: These substances protect your eyes from damage:

• Anthocyanins: Found in berries, these are powerful antioxidants.

• Carotenoids: Like beta-carotene, lutein, and zeaxanthin, these are nutrients that protect the eyes and reduce the risk of AMD.

• Flavonoids: Found in plants, they help prevent eye diseases by reducing inflammation.

The Power of a Healthy Diet

Eating foods rich in these antioxidants, or taking supplements that contain them, can work together to protect your eyes and reduce the risk of devel-

oping AMD. A balanced diet that includes these nutrients can be a key part of maintaining eye health as you age.

Omega-3 fatty acids are crucial for a heathy tear film. These fats, which our bodies can’t produce, help reduce inflammation and support overall eye health. You need to get them from food or supplements. Unfortunately, many people replace omega-3s and other vital nutrients with refined sugars and processed foods, which can harm eye health. A poor tear film can lead to dry eye syndrome. This problem can make your eye gritty, red, tired and even cause blurred vision.

Dry eye symptoms and an unhealthy tear film can also cause problems if you need eye surgery. A healthy tear film (the thin layer of moisture on the surface of your eyes) is crucial for clear vision and successful surgery. Omega-3 supplements can help improve the tear film, making surgery outcomes better and reducing dry eye symptoms.

Many over-the-counter omega-3 supplements are in a form that’s hard for the body to absorb. The best type of omega-3 supplement is the reesterified triglyceride (rTG) form, which the body absorbs more easily. This type is more effective than the commonly available synthetic forms.

Many over-the-counter omega3s are in a synthetic, ethyl-ester form, which can be difficult for the body to absorb. While this ethyl-ester form is widely available due to the its lower cost of production, it also results in a lower nutritional value per serving. Omega-3s in the re-esterified triglyceride (rTG) form provides up to three times better absorption into your body than most other fish oil forms found at the store. Re-esterified means the alcohol has been removed and the oil has been converted back to nature’s pristine triglyceride form.

Prioritizing ocular nutrition is essential for keeping your eyes healthy and preventing vision problems as you age. By eating a diet rich in essential nutrients and antioxidants, you can help protect your vision and maintain overall eye health. Consider using nutritional supplements specifically designed for eye health and recommended by your ophthalmologist or optometrist.

THE LATEST IN MINIMALLY INVASIVE & CUTTING-EDGE THERAPIES

Dr. Jim Lynch is Board Certified in Family Medicine and Sports Medicine and has been performing ultrasound-guided regenerative medicine procedures since 2009. Dr. Lynch moved to Annapolis, Maryland in 2021 after serving 31 years in Army medicine. As a physician in US Special Operations, Dr. Lynch spent a career focused on optimizing both the physical and mental health of the most elite ‘tactical athletes.’ He is a veteran of combat deployments to Panama, the First Gulf War, Iraq, Afghanistan, Syria, and several locations throughout Africa. All Star Pain Management and Regenerative Medicine is excited to have Dr. Lynch join our team!

Zvezdomir Zamfirov, MD (Dr. Zed)
James Lynch, MD (Coming Sept 2024)

Featured Health Professionals

Local Professionals Empowering and Encouraging People To Live Healthier

DENTAL IMPLANT CENTER OF ROCKVILLE

Sivakumar Sreenivasan, DMD

Oral and Maxillofacial Surgeon

Diplomate, American Board of Oral & Maxillofacial Surgery

DMD, MDS • OMFS, MD, PA

77 South Washington Street Suite #205, Rockville, MD

www.OMFSMD.com

Meet Dr. Sreenivasan:

Dr. Sreeni came to the United States as an Oral and Maxillofacial Surgeon in the year 1990 and put himself through dental school again at Boston University and Oral and Maxillofacial Surgery residency at University of Medicine and Dentistry of New Jersey.

As an Oral and Maxillofacial Surgeon, Dr. Sreeni manages a wide variety of problems relating to the Mouth, Teeth and Facial Regions. He practices a full scope of Oral and Maxillofacial Surgery with expertise ranging from Corrective Jaw Surgery to Wisdom Teeth Removal. His passion is in implant surgery and he is well known for same day placement of implants following teeth removal be it for single teeth or a complete “makeover” (Smile in a day). He can also diagnose and treat Facial Pain, Facial Injuries and TMJ disorders and perform Bone Grafting and Sinus lift procedures.

Dr. Sreeni completed a residency in Anesthesiology at Mount Sinai Hospital, New York in 1994 and has worked as an Attending providing anesthesia services for children and adults in the ambulatory out-patient center of the hospital.

Dr. Sreeni is an Advanced Cardiac Life Support instructor with the Adventist group. He is also certified in Pediatric advanced life support and is very capable of handling emergencies that could possibly arise in the office. Dr. Sreeni’s staff are trained in assisting with IV Sedation/General Anesthesia within our state of the art office setting. Patients are continuously monitored during and after surgery. The goal of our office is to provide professional service with compassion and an understanding of the patients’ perspective.

TMJ & Sleep Apnea Treatment

Dr. Brown’s practice focuses on TMJ, sleep apnea and orthodontics. This allows Dr. Brown and his team to provide individualized, focused care for patients dealing with these specific issues. Every day, his practice helps patients of all ages with facial development, sleep issues, chronic headaches, migraines, neck pain, movement disorders, and much more. His training also includes multiple disciplines involving the cranial bones in the skull, and the discs in the jaw joints. Through treatment, Dr. Brown is able to reduce these symptoms, align cranial bones, avoid extractions, and greatly reduce the need for traditional braces.

His expertise allows him to identify issues early on which promotes proper facial development using dental appliances. If there is an internal imbalance, whether an adult or child, the body does not develop or function properly. When the cranial bones are lined up correctly, patients are able to function, sleep and generally live better.

With that in mind, the team at Sleep & TMJ Therapy takes a whole-body approach when treatment planning. They work hand in hand with physical therapists and osteopathic doctors for a better success rate. Dr. Brown is devoted to helping patients of all ages live a symptom free life.

Degrees & Certifications

Dr. Brown earned his degree from Georgetown Dental School and completed residencies with Emory University Hospital for Dental Sleep Medicine and the ALF Appliance Therapy Institute.

Outside the Office

When not seeing patients, Dr. Brown is a sought-after speaker. He has lectured all over the world, including D.C., Dubai, Seoul, London, Norway and Toronto. He has also been featured on Channel 9’s Good Morning Washington, several podcasts, and numerous magazines and journals.

Professional Affiliations

Dr. Brown is a diplomate of the American Academy of Craniofacial Pain, a member of the American Academy of Dental Sleep Medicine, American Academy of Gnathological Orthopedic, Academy of Integrative Pain Management American Dental Association, a Fellow of the American Academy of Craniofacial Pain, and Legacy Provider for the ALF Interface Academy.

Do you have TMD or Sleep Apnea?

TMD Symptoms: Noise in the jaw joints when opening and closing your mouth, difficulty chewing, limited opening, tender facial muscles, ear ringing, uncomfortable bite, jaw locking, headaches, migraines, dizziness, vision issues as well as pain in the jaw area which can radiate to the ears, head, neck, shoulders, and back.

Sleep Apnea Symptoms: Snoring, waking up gasping for air, feeling tired and irritable in the morning, difficulty controlling weight, concentration problems, morning headaches, episodes of not breathing, waking with a sore throat, forgetfulness and mood changes.

If you believe you may be suffering from TMD or Sleep Apnea, don't wait... Call today to schedule a consultation with Dr. Brown: 703-821-1103.

Meet Jeffrey L. Brown

Featured Health Professionals

Mary B. Alexander, DDS, DMSC

Dr. Mary Alexander, periodontist, obtained a Bachelor of Science degree in Biology from the University of South Carolina and continued her education in dentistry at the University of Maryland School of Dental Surgery where she received her DDS degree. Prior to and during her dental studies, Dr. Alexander received funding and support from the National Institutes of Dental Research for her involvement in the periodontal research. After obtaining her DDS degree Dr. Alexander spent one year at the Veteran’s Administration Hospital, in general practice residency focusing her training in the area of anxiety patient management. She then attended Harvard University and earned her clinical specialty in periodontics and a doctorate in medical science. Her doctoral research was focused in the study of bone function and metabolic disease of the bone.

Dr. Alexander received extensive training in dental implantology, periodontal plastic surgery, bone regenerative procedures and sedation dentistry. All aspects of Dr. Alexander’s training are incorporated in her periodontal practice assuring patient’s thorough and comprehensive periodontal treatment.

Shawn Samad, DDS

Meet Dr. Shawn Samad

Raised in Severna Park, MD, Dr. Shawn Samad is the proud son of Fred and Mary Samad, a working class couple that raised their children in a humble household. Dr. Samad grew up to be an avid sports fan. He still plays soccer regularly and is a HUGE Ravens fan!

He went to college in Westminster, MD, where he received his Bachelor of Science degree with majors in Biology and Chemistry with a special focus on Physics. He then continued his education at UMBC where he worked on a Masters degree in Biology. And finally attended University of Maryland School of Dentistry where he received his Doctor of Dental Surgery (DDS) degree.

Although he has achieved one of the highest educational degrees, he still continuously partakes in Continuing Education (CE) regularly to learn about all of the newest, latest, and greatest techniques and technology. He has received extensive training and experience in Cosmetic Dentistry, Endodontics (Root Canals), Oral Surgery, Implantology, and Invisalign Orthodontics. His belief is Knowledge is Success!!

And it must be mentioned that his office is filled to the teeth (Pun intended) with world class, state of the art, technology in a modern and sophisticated office layout. Dr. Samad’s motto in his work is, “Changing lives, one tooth at a time.” Come on in and meet him. You won’t be disappointed! The

Featured Health

Karl A. Smith, DDS, MS

& Implant Dentistry

Meet Periodontist, Karl A. Smith, DDS, MS

Dr. Smith is a dentist who also specializes in treatment of gum disease, cosmetic smile enhancement procedures, and dental implants to replace teeth that are missing. Although no one likes to go to the dentist, he strives to make your visits as comfortable and pleasant as possible. He strongly believes that value and comfort is an important part of quality dental care.

The right to choose a dentist and provider of care is an important freedom. Referrals from patients and friends of the practice are welcome. We also work closely on referral from your family dentist, but a referral is not required to visit our office. Everyone that is interested in keeping their teeth for a lifetime should see a periodontist for screening.

Dr. Smith’s colleagues describe him as a gentle, easy-going person that provides expert care to patients. People come from near and far to experience the comfort of his office and patient-oriented team. He has been consistently voted by his peers a Top Dentist in Washingtonian Magazine, and Northern Virginia Magazine. WHAT TO EXPECT ON A VISIT WITH DR. SMITH:

Dr. Smith says that “From the first phone call you will be treated with care and concern for your unique dental condition. Every question you have ever had about your dental health will be covered as well as any financial considerations you may have. It is my goal to care for each and every person that comes through my doors and to exceed your expectations from a dental office. I promise to always give you honesty and accuracy when it comes to your treatment. I will never start treatment without your full knowledge, understanding, and acceptance of your condition.”

“Please call my office to ask about our New Patient Special – $209.00”

Mention: DRSmithMD0924

Degrees, Training and Certificates:

Doctor of Dental Surgery Degree from the University of California, Los Angeles 1981. General Practice in the U.S. Air Force Dental Corps.. Successfully completed three additional years of advanced training in the specialty of Periodontics, Dental Anesthesia and Implants in 1992 at the University of Texas Health Science Center, San Antonio and Wilford Hall USAF Medical Center. Retired from the U.S. Air Force as a Lieutenant Colonel in 1996. Fellowship in the Academy of General Dentistry and in DOCS, a sedation organization for dentists.

ThunderBird Dental Office

ThunderBird Dental Office, affectionately known as the ThunderBird, has been providing dentures and denture repairs for over 40 years. Our dental lab is on our premises which allows us to deliver same day repairs and relines. We also perform extractions for immediate dentures. Our service is prompt and personalized and our price is right, so come on in!

Meet Dr. Brent C. White, Jr.

Graduate of Howard University College of Dentistry in Washington, D.C.

Completed General Practice Residency At Saint Elizabeths Hospital in Washington, D.C.

Served as a Civilian Dentist at Ft. Meade Army Base, Ft. Meade, Maryland

Served as Clinical Director at Oak Hill Juvenile Detention Center, Laurel, Maryland

Member Of:

ADA American Dental Association

MSDA Maryland State Dental Association

Featured Health Professionals

Local Professionals Empowering and Encouraging People To Live Healthier

Dr. Pamela Soto, PT, DPT, OCS

Dr. Pamela Soto, a small-town girl from Oklahoma, has transformed her passion for human anatomy and medicine into a distinguished career as a physical therapist in Bowie, MD. With a Doctorate in Physical Therapy and specialized training in orthopedics and women’s health, Dr. Soto is dedicated to improving the lives of her patients, particularly in the realm of pelvic floor health.

Dr. Soto’s journey into medicine was deeply influenced by her family’s experiences as Mexican immigrants. Motivated by the language and cultural barriers her parents faced in healthcare, she harnessed her bilingual skills to connect with patients from diverse backgrounds, ensuring they receive the compassionate care they deserve.

At Bowie Physical Therapy Associates, Dr. Soto excels in treating pelvic floor dysfunction, a critical yet often overlooked aspect of women’s health. Her expertise encompasses a range of conditions, from urinary incontinence to pelvic pain and postpartum recovery.

Through personalized treatment plans, Dr. Soto employs advanced techniques such as biofeedback, manual therapy, and pelvic floor muscle reeducation to help her patients regain strength, function, and confidence.

Dr. Soto’s commitment to women’s health extends beyond the clinic. She actively collaborates with obstetricians and gynecologists to provide comprehensive care, ensuring that her patients receive the best possible outcomes. Her dedication to continuous learning and her holistic approach to treatment make her an invaluable asset to the Bowie Physical Therapy team and the community she serves.

Hitesh Amin, MD, FACS

Meet Hitesh Amin, MD

Hitesh P. Amin, MD, FACS, is a bariatric and general surgeon. He is the medical director of Transform Bariatrics located in Greenbelt and Rockville, MD. Transform Bariatrics is a comprehensive obesity care practice, that works closely with patients, to address their concerns and improve overall health and wellness.

While Dr. Amin’s focus is obesity surgery, and he specializes in minimally invasive and robotic surgery, Dr. Amin believes in an integrative approach to treatment, utilizing the best holistic, medical and surgical treatments available. Dr. Amin utilizes the latest medications, such as compounded semaglutide (GLP-1A) as well as endoscopic, and minimally invasive surgical approaches to treating obesity and its related conditions. In addition, Dr. Amin and the team at Transform Bariatrics can treat excess skin and fat deposits that are inevitable after weight loss utilizing the latest technologies. Dr. Amin treats common gastrointestinal and abdominal conditions, including gallstones, hernias, reflux, and small bowel and colon conditions. No other practice in the area offers a more comprehensive group of treatment options for those suffering from obesity and its associated conditions.

Dr. Amin has over 20 years of experience in surgery and has been practicing in the Washington region for more than 15 years. He has successfully completed more than 1500 robotic surgical procedures, making him one of the region’s most experienced robotic general surgeons. Dr. Amin is a fellow of the American College of Surgeons, a member of the American Society for Metabolic and Bariatric Surgery, and Board Certified by the American Board of Surgery. Dr. Amin accepts new and existing patients at both offices. We can treat/converse with Spanish speaking patients.

Local Professionals Empowering and Encouraging People To Live Healthier

Winters Chiropractic & Physical Therapy

With offices in Charlotte Hall, and La Plata, we are conveniently located to help with all of your chiropractic needs. Since serving the community since 2003, we offer many services such as chiropractic adjustments, physical therapy, exercise therapy, children’s therapy, DOT/CDL Physicals, and more. Winters Chiropractic and Physical Therapy is a full service care office. We focus on our patients comfort while providing the latest techniques to relieve persistent pain.

Dr. Paul J. Winters – BS, DC w/PT Privileges, CME

Degrees, Training, and Certifications: Doctor of Chiropractic, Northwestern College of Chiropractic; Bachelor of Science, North Dakota State University; Certified Medical Examiner, FMCSA (Federal Motor Carrier Safety Administration). Doctor of Chiropractic w/Physical Therapy Privileges, FMCSA DOT/CDL Certified Medical Examiner.

Professional Memberships/Associations: Maryland Chiropractic Association, Maryland Board of Chiropractic & Massage Therapy Examiners.

Techniques: Diversified, Thompson, SOT, Active Release Technique, Passive Release Technique, Trigger Point Therapy

Expertise: Personal/Work/Sports Injuries, DOT/CDL Medical Certifications, Musculoskeletal Disorders, Nutrition.

Personal Interests: Family and Vacationing, Motorcycling (Harley Davidson), Snowmobiling, Target Shooting, Computers

Dr. Patrick C. Winters – DC w/PT Privileges

Degrees, Training, and Certifications: Doctor of Chiropractic, Northwestern College of Chiropractic; Bachelor of Science, Human Biology Minnesota State University. AMA Guides to Evaluating Permanent Impairment, Certified Disability Examiner, Manipulation Under Anesthesia Certified.

Professional Memberships/Associations: Maryland Chiropractic Association

Techniques: Diversified, Thompson, SOT, ART/PRT, TPT, MUA

Expertise: Personal, Work and Sports Injuries, Spinal and Extremity Conditions, Musculoskeletal Disorders and Nutrition

Personal Interests: Family, Home, The Great Outdoors, Motorcycles, Snowmobiles

OFFERING InvisaRED: The Only Non-invasive Laser Device With FDA Approved, IRB, and Clinically Proven Results For: Fat Reduction, Aesthetics, Cellulite Elimination, Weight Reduction, and Inch Loss.

See our ad on page 15 for more information.

Featured Health Professionals

SENIOR smile

Namita K. Thapar-Dua (Chaudhary)

Providing Mobile Dental Care

Servicing Senior Living Communities and Homebound persons in their private homes of any age. (In Maryland, Virginia and parts of D.C.)

Craig A. Smith, DDS

General Dentistry/ Family Dentist

Craig A. Smith

Dr. Craig Smith is committed to health through dentistry, ensuring you have optimal oral health which contributes to your overall health and well-being.

K. Thapar-Dua, DDS 20528 Boland Farm Road, Suite #215, Germantown, MD 20876

Email: reception@srsmile.com – Website: www.SrSmile.com Fax #: 301-637-3222

Quality service, advanced technology and a passionate commitment to education means patients receive the best that dentistry has to offer.

Dr. Smith’s Philosophy: Always listen to the patient and in turn respond in an educational manner so that the patient will understand.

Degrees, Training, and Certificates: Doctor of Dental Surgery (D.D.S.) - Howard University College of Dentistry; 2 Year General Practice Residency; Chief Resident - Harlem Hospital Center (Affiliate of Columbia University); Certified Invisalign Provider

Professional Memberships: National Dental Association

Areas of Interest: All phases of dentistry - cosmetic, implant, crowns and bridges, root canals, veneers, preventive care, Invisalign and whitening.

Hobbies: Mountain biking, racquetball, golfing, and boating. My interests are to continue to deliver quality dentistry and to further reach out to the community to help to increase the peace.

Additional: Many patients do not understand the importance of a healthy mouth, as health problems could arise. I want to educate all of my patients on health through dentistry.

Zoom! Whitening Special

(Regular Price $699) Expires 09/30/24

Featured Health Professionals

E. Taylor Meiser, Jr.

Degrees/Training: DDS, University of Maryland

Dental School; General Practice Residency, San Diego Naval Hospital; Prosthodontics Residency, Naval Dental School, Bethesda; U.S. Navy Dental Corps Officer, Commander, USN, (retired).

Professional Memberships: American Dental Association, Maryland State Dental Association, Anne Arundel County Dental Society, Annapolis Dental Study Club, Chesapeake Implant Study Club, University of Maryland Alumni Association.

Practice Philosophy: To follow the “Golden Rule” in all aspects of professional dental care, providing outstanding quality dentistry in a caring, comfortable and comprehensive manner. Lighthouse Family Dentistry will “Light Up Your Smile.”

NOW OFFERING DERMAL FILLERS

Dr. Judy Yu is an artist with a passion for perfecting smiles and boosting confidence. She is a true advocate of education. Dr. Yu strives to educate herself and her team in our ever-changing field.

She attended the Temple University School of Dentistry in Philadelphia, PA, where she received her DMD and was honored in the Temple University Gallery of Success. Her undergraduate degree, a B.A. in Chemistry, was attained at Goucher College in Towson, MD, where she was a Dean’s Scholar. She completed her Executive M.B.A. at Loyola University in Timonium, MD. Dr. Yu is currently a member of the American Dental Association (ADA), Maryland State Dental Association (MSDA), the Academy of General Dentists (AGD), the Maryland Academy of General Dentists. She served as the Public Information Officer on the board of the Maryland Academy of General Dentists (MAGD). Additionally, she is certified in Forensic Dentistry through the Armed Forces Institute of Pathology at Walter Reed Medical Center and has served on the Maryland State Committee for Oral Cancer Awareness. Dr. Yu served on The Anne Arundel County Oral Task Force aiming to increase access to care for the adult population.

She is committed to the overall health of her patients and works with her team to educate clients about the importance of oral care and how the pathology in the oral cavity is directly linked to one’s general health, including periodontal disease and its relationship with heart disease. A humanitarian at heart, Dr. Yu truly enjoys giving back to the community. She currently chairs the Northern Anne Arundel County Chamber of Commerce Health/Wellness Committee. Dr. Yu also chaired the McDonogh Parent Association’s Parent Education Committee. She was involved with the Healthy Anne Arundel Coalition to “Make Health Happen.” You will often find Dr. Yu volunteering for Missions of Mercy, donating dental services to the public or volunteering at her church by cooking for Heaven’s Kitchen.

Dentistry by Dr. Judy Yu, DMD, MBA

Meet Judy Yu

Premier Dental Clinic

• Member - District of Columbia Dental Society

• University of Pennsylvania Dental School Alumnus

• Fellowship in Hospital Dentistry and Oral Surgery (Johns Hopkins University)

• Specializes in Ceramic Implants and Prostheses

Dr. Ghassan Jacklis and his dedicated team want you to feel comfortable in our office, and to know that when you come here, you will receive outstanding dental care and personalized service. Our associates have been working together for years, with many years of advanced training, which has allowed us to perfect our communication and better serve you.

We focus on Weight Loss Management and we meet the criteria for a structured weight management program, such as nutrition counseling and behavior management coaching. Some insurance plans may require participants to have tried a comprehensive weight loss program that includes diet and increased physical activity to qualify for GLP-1’s or bariatric surgery.

BEAUTIFILL® LASER LIPOLYSIS: The unique BeautiFill® machine enables providers to easily pass through tissue to quickly and efficiently remove fat cells, minimize bleeding, swelling, bruising, and resulting post-operative pain and downtime. The BeautiFill® offers a fat transfer feature that will safely preserve fat that is taken from one area and can be transferred to another area of the body. Examples: fat transfer to face, hands, breast, and butt.

Suzan

Ebrahimi, MD

Fellowship Trained, Board Certified GASTROENTEROLOGIST

Training, Degrees:

• UCLA (University of California – Los Angeles)

– Internal Medicine Residency

• Georgetown University – Gastroenterology Fellowship

Dr. Ebrahimi specializes in the diagnosis and treatment of the digestive tract:

• SCREENING COLONOSCOPY

• Esophagus

• Small Intestine

• Liver

• Nutrition

• Obesity

• Stomach

• Colon/Rectum

• Pancreas

• Weight Loss

• Hemorrhoids

• Gallbladder and Biliary Tree

• Gastrointestinal Malignancy

Tammy Wright, Instructor

The Greatest Wealth is HEALTH!

Tammy Wright is the proud co-founder and co-owner of ABC Fitness Connection located in Waldorf, Maryland. It is co-founded and co-owned by both her and her husband, John Wright.

They are a powerful couple with the passion for improving the fitness of wholesome families. Their goal is to connect clients to the reality that wellness is a lifechanging value proposition.

The VALUE they convey is that there are three pillars in life: health, wealth, and time with the understanding that you can have time and wealth, but without health it is all meaningless. ABC Fitness Connections offers personal training, nutritional guidance, fitness boot camps, group exercise classes, and moral support to achieve your wellness goals!

Tammy completed her undergraduate degree in Business Management at Virginia State University in May 1996. Thereafter, she completed two (2) Master of Science degrees. She is now a retired officer with over 21 years of faithful service in the Army National Guard. At present, Tammy is a Zumba instructor and loves to ROCK the stage every chance she gets. Also, she has an AFAA Certification in Youth Exercise Specialist (YES).

When asked about why she started the business with her husband, the immediate response has always been, “This is our PASSION!” Additionally, contact them if you’d like for them to educate students, teachers, and the community about the dangers of tobacco use and vaping of nicotine through the use of e-cigarette devices (ESD - electronic smoking device) through a presentation. The presentation includes a mini-fitness boot camp with a discussion on good nutrition and the dangers of smoking cigarettes and/or vaping e-cigarettes on your health.

Power Women Initiative (PWI) Workshops 2024 – August 15 · 5:30 - 7pm EDT

Charles County Public Library - Potomac Branch 3225 Ruth B Swann Drive, Indian Head, MD 20640

Chesapeake Spine & Pain

Interventions and Therapies

Taking Care Of Your Pain Management

Treatments We Provide

We use state of the art technologies and techniques while practicing evidence based medicine to deliver the highest level of medical care to our patients. Some of the therapies we provide are mentioned below:

• Spinal Cord Stimulation (SCS)

• Epidural Steroid Injections

• Facet Joint Injections

• Radiofrequency Ablation

• Medial Branch Blocks

• Sacroiliac Joint Injections

• Kyphoplasty

• Selective Nerve Root Blocks

• Sympathetic blocks

• Celiac Plexus Blocks

• Joint Injections

• Peripheral Nerve Stimulation

• Minimally Invasive Lumbar Decompression (MILD)

Kyphoplasty A Breakthrough Treatment For Vertebral Compression Fractures

Vertebral compression fractures (VCFs) can be a source of significant pain and disability, particularly among older adults and those with osteoporosis. These fractures, often

caused by weakened bones, can lead to a forward curvature of the spine (kyphosis), height loss, and chronic pain. Fortunately, kyphoplasty has emerged as a highly effective minimally invasive procedure for treating VCFs and restoring both function and quality of life for patients.

Kyphoplasty is a specialized vertebral augmentation procedure designed to stabilize fractured vertebrae and alleviate pain associated with VCFs. During the procedure, a small incision is made, and a narrow tube is inserted into the fractured vertebra under fluoroscopic guidance. Through this tube, a balloon-like device called a bone tamp is then gently inflated to create a void within the fractured bone.

Please see “Kyphoplasty,” page 66

The Ultimate Healing Restoring Body, Mind & Spirit

Energy Quantum Healing

Energy quantum healing operates on the principle that the body’s innate energy field extends beyond its physical boundaries, connecting with the Earth’s magnetic field and traversing various dimensions within the spiritual realm.

This method focuses on identifying and rectifying congested negative energy, facilitating the restoration of a harmonious flow of positive energy throughout the entire human energy system. By addressing imbalances and disturbances within this system, energy quantum healing aims to integrate the body, mind, and soul in order to foster holistic health and facilitating the healing process. Practitioners believe that resolving energy field disturbances can prevent potential physical manifestations of illness in the future.

Holistic Therapies

Meditation, sound immersion, aura, chakra balancing and healing exert a tangible impact on the body, constituting a form of vibrational medicine that may influence heart

rate, blood pressure, and brain wave patterns. Sound waves, in particular, emit vibrations that are thought to penetrate and interact with the physical body and its major systems, accessing the aura and chakra systems to alleviate spiritual blockages and alleviate tension and stress. Sessions incorporating meditation, sound immersion, and healing techniques have been shown to alleviate physical discomfort in certain individuals, as well as mitigate anxiety and depression, and address emotional imbalances and past traumas.

Keep in mind that these therapies are complementary and should be used in conjunction with conventional medical care.

Intuitive Guidance

Intuitive readings can offer an understanding of various life situations, shedding light on your life path, and providing guidance on aligning your goals with your destiny. Anticipate receiving insights aimed at addressing challenges and identifying opportunities. Gain clarity on personal growth and navigating life’s complexities, empowering you to make informed decisions and pursue positive changes.

Studio 5 Hair Gallery Specializing in Restoring & Enhancing

Your Hair’s Natural Beauty

Located in scenic Southern Maryland, Studio 5 Hair Gallery is well known in the medical community for customized solutions for hair loss. We provide the finest synthetic and human hair wigs, hair extensions, and top-of-the-head hairpieces. For over 12 years, Studio 5 Hair Gallery has served its clients with compassion and excellence. call 301.884.3553 for your appointment today! Please mention this Flier when setting up your appointment.

& Women’s Hair Systems • Extensions

Studio 5 Hair Gallery hair replacement specialists are empathetic to your needs at this difficult time and will do everything possible to make you feel comfortable.

GWEN BEVERLY Owner, Medical Hair Loss Specialist

Wholelife Acupuncture & Fitness

Center

Quansheng Lu, CMD, PhD, L.Ac www.wholelifeherb.com • luquansheng@gmail.com 301-340-1066 • fax: 301-340-1090

Guest professor, Henan University of Traditional Chinese Medicine (TCM) Chief TCM Physician, WFCMS; M.S. in TCM, Beijing University of TCM PhD in integrated medicine, China Academy of Chinese Medical Sciences Fellowship, Georgetown University & Children’s National Medical Center 3 patents, 8 books of TCM, 30 papers, 30+ years of experience in TCM

Low back pain • eczema • arthritis • allergies • cough • insomnia • paralysis obesity • nephritis • hepatitis • infertility • PMS • side effects of cancer treatment

416 Hungerford Drive, #300 Rockville, MD 20850

5022 Dorsey Hall Drive, #101 Ellicott City, MD 21042

400 Potomac Street

A psychiatric rehabilitation program offering a day component, residential, vocational and in-home support services. Let us show you how to move from the solitude of symptoms to the freedom of achievement.

Traditional Chinese Medicine For Epilepsy

cine and its kindred spirit, Complementary and Alternative Medicine (CAM), seeking the nurturing touch of holistic healthcare. Painted upon the canvas of statistics by the National Center for Complementary and Alternative Medicine (NCCAM), the year 2007 witnessed a remarkable transformation, with 38% of adults, 44% of those aged 50-59, and even 12% of the youthful cohort embarking on a CAM journey.

Over countless millennia, Traditional Chinese Medicine has unfurled its therapeutic embrace within the heart of China, casting its influence across horizons, notably igniting a luminous ascent in Europe and the United States. An ever-swelling throng now turns its gaze toward the realm of Chinese medi-

NOW OFFERING: Wellness and Recovery Community Center - This is a program that provides support from peers for both mental health and substance use disorders for people actively working on their recovery. Now acceptiNg aetNa, aNd Blue cross/care First. practiciNg iN MarylaNd siNce 2004. 703 GiddinGs Avenue suite u3, AnnApolis, Md 21401 treat health coNcerNs with acupuNture • ASTHMA • STRESS

PO Box 939, La Plata, MD • 301-932-2737 • 301-870-3969 • Fax 301-932-2803

Committed to Healing to Achieve Lasting Well-Being

BrittNey de Vicq, Mac, lac www.westaNNapolisacupuNcture.coM 410-375-9716

• CHRONIC FATIGUE

• DEPRESSION

• BACK PAIN

• JOINT PAIN

New Acne and Hidradenitis Suppurativa Studies with Board Certified Dermatologist

If you are a woman 20 years of age or older and are living with mild to moderate facial acne, you may be eligible to participate in a new clinical study with approved treatments. Email our clinic at dermdc@gmail.com

At the offices of DR. HEMA SUNDARAM, MA, MD, FAAD Board Certified Dermatologist and Dermatologic Surgeon International Teacher and Researcher in Advanced Dermatology and Plastic Surgery Technologies

Within this multifaceted tapestry of medical exploration, epilepsy emerges as a poignant narrative thread, tracing its roots back to the ancient pages of the Chinese Medicine Classic, the Huang Di Nei Jing, penned more than two millennia ago. The venerable tradition of Chinese herbal medicine and the refined choreography of acu-

Please see “Epilepsy,” page 65

Depression and Aging Adults

Depression is a major health concern in our country and discriminates against no particular group. The disease affects all races, ages and has no regard for income. The focus of this article, however, is the expanding number of older folks who may experience depression.

Although adults 60 years and older compose 13% of the U.S. population, the use of mental health services is below the expected limit of use. Older Americans are disproportionately likely to commit suicide. Individuals over 65 account for 20%

of all suicide deaths, with white males being particularly susceptible.

Up to 5% of those persons over 65 suffer from some form of depression. This does not include the normal experiences of sadness, loss, or grief that all people feel as part of living. Major depression is persistent and can interrupt people’s ability to function. Depression should not be considered a normal phenomenon of growing older.

Both health care providers and the patient may have difficulty recognizing the signs of depression.

The National Institute of Mental Health has listed a few questions to consider when discussing general health concerns and the possibility of depression.

If some of these feelings or symptoms are persistent, lasting more than several weeks, and occur more often than not, talk about them with your healthcare provider. This may provide the best way to properly diagnose the problem and have a positive result ––feeling better.

Ask yourself if you are feeling nervous or “empty”, guilty or worthless, very tired or slowed down, don’t enjoy

Please see “Depression,” page 61

David’s

Call for a Complimentary Consultation

Orthodontics for Adults & Children

We Specialize in: Damon Braces, Damon Clear, Invisalign, Invisalign Teen, Clear Aligner Therapy, STb (Lingual Braces), Insignia, Early treatment & growth modifications, and Minor Tooth movement for periodontal patients.

8737 Colesville Road, Suite #301 • Silver Spring, MD 20910 www.smileconstructors.com • info@smileconstructors.com 301-587-8750

8737 Colesville Road, Suite #301 • Silver Spring, MD 20910 www.smileconstructors.com • info@smileconstructors.com

Orthodontics and Overall Dental Health

Warts

This month, dental professionals take time to educate the community with short presentations geared towards many different audiences, from PTA’s, church groups, community organizations, schools, girl/boy scouts and many other gatherings. Contact your health professional to schedule your presentation to raise dental health awareness.

Heel Spurs

X-Rays

PAD Test Now offering Dr. Remedy Enriched Nail Polish, a healthier alternative to traditional nail polishes. Strengthen and protect your nails against fungus, discoloration,

• 301-386-5453 • Whirlpool Available • Diabetic Foot Care • Foot Exfoliation • Orthotics • Bunions, Hammertoes • Ingrown Nails

Most Insurance Plans Accepted • Visa, Mastercard and Most Cards Accepted Out Patient Surgery, Ambulatory Surgical Center and Hospital Surgery Evening Appointments Available • www.AdeAdetunji.com 1450 Mercantile Lane, Suite 151 • Largo, MD 20774 www.largofoot.com • feetforlife@largofoot.com

DReM’s Legacy Holistic Wellness Center

(located inside of Hol-Body Yoga Studio)

Family Wellness Services

• Natural and Herbal Remedy Consults

• Family Planning

• Childbirth Education

• Natural Healing Education

Women’s Health/Womb Wellness

• Birth/Postpartum

Doula Services

• Fertility Support

• Womb Meditation

• Womb Massage

• Vaginal/Yoni Steams

Spiritual and Mental Wellness

• Etheric Touch Sessions

• Reiki Sessions

Coming Soon:

• House Blessings

• Divinations

• Doula Training begins January 2024 for In Person Classes

Shirleta Henson McKann 410-265-9393

319 Crain Highway, S. Glen Burnie, MD 21061

Walk-In Hours Every Tuesday 4pm-7pm

Facebook: DReM’s Legacy Holistic Wellness Center

Instagram: @drems.legacy.holistic.wellness

Dental professionals focus on patient education in all aspects of dental health, from eating the right foods to proper brushing and flossing techniques. Our primary goal is to help people of all ages achieve healthy teeth and gums, an efficient chewing apparatus and ultimately a beautiful smile.

Orthodontics and accurately aligning teeth, bone and jaws play an important role in achieving a healthy smile. When teeth and bone have been affected by neglect, improper brushing and flossing, lack of suitable brushing “tools” or bad eating habits, there is a diminished capacity to adequately nourish your body. Teeth, jaws and muscles must be well aligned to allow appropriate maintenance and avoid cavities, bone loss or periodontal dis-

Please see “Orthodontic,” page 66

Corns and Calluses

Part Two

Last month’s article focused on the symptoms and diagnosis of corns and calluses. This month’s article will focus on prevention and treatment.

Prevention

In most cases, you can help to prevent corns and calluses by wearing shoes that fit properly. In particular, choose low-heeled, comfortable shoes that have enough space around the toes. Wear socks to cushion any areas of unusual rubbing or pressure. Use doughnut-shaped pads that fit over a corn and decrease pressure and friction.

Treatment

If your corns and calluses are

painful, your podiatrist will shave away some of the thickened skin to relieve pain and pressure in the affected area. Although many people can do this themselves, podiatrists can make sure the procedure is done safely. Your podiatrist also may recommend that you modify your footwear to prevent your problem from returning.

For example, pads or “donuts” made of moleskin, lamb’s wool, foam or felt will cushion the affected area. Corrective shoe inserts will redistribute the forces that cause friction and pressure inside your shoes, relieving some of the stress on your feet when you walk.

Your podiatrist may ask you to return regularly to have your feet examined and your corns and calluses shaved, if necessary. You also can minimize corns by regularly rubbing them with a pumice stone, which is available in most podiatrist offices.

Foot surgery may be necessary to treat corns and calluses that keep returning and are not relieved by padding, shoe inserts and periodic shaving. Never try to shave or cut a corn or callus on your own.

Instead, use a pumice stone to trim it down safely. Also, you can

Please see “Calluses,” page 65

Back pain is the second most common reason people visit physicians in the US, with neck pain close behind. The spine and adjacent tissues are pivotal in nearly all major bodily movements.

Chiropractic services are used most often to treat neuromusculoskeletal complaints, including but no limited to back pain, neck pain, pain in the joints of the arms or legs, and headaches.

Drug and Alcohol Testing also Available.

Since opening in 2003, Winters Chiropractic & Physical Therapy has remained dedicated to providing expert chiropractic, physical therapy, and DOT/CDL services. Our doctors provide tailored treatments that ensure you make the most gains at a comfortable, steady pace. The ultimate goal of any chiropractic or physical therapy program is to restore your physical health to its previous form. With our small practice, we have the advantage of maintaining personal relationships without compromising our ability to provide advance care.

LEARN HOW TO…

customer that they deserve. Stop by and experience the difference.

Coping With Nasal Allergies

Submitted by Kensington Pharmacy

Do you have a nasal allergy? Nasal allergies cause the lining of your nose to become swollen and inflamed. Do you have:

• A runny nose with a thin, watery discharge?

• Nasal itching and congestion?

• Red, itching eyes?

• Sneezing?

• Drainage from your nose down the back of your throat?

If so, you may be a nasal allergy sufferer. Your pharmacist can help you decide whether to see a doctor or whether to treat your symptoms yourself.

The next question to ask yourself is if your allergies are perennial, seasonal, or both?

Many different triggers can cause nasal allergies.

Perennial Triggers

• Dust mites

• Animal hair or dander

• Prescription Refills via On-line or Phone 24 hours a day

• Flu Shots, Shingles and Pneumavac Vaccines

• Prescription Plans including Medicare Part-D and Part-B, CVS-Caremark

• Transfer Of Your Prescriptions

• Compounding Specialists

• Indoor mold

Because these triggers are present all the time, these allergies are said to be perennial.

Seasonal Triggers

• Pollen from trees

• Ragweed

• Grass

• Weeds

Because these triggers are around only during certain times of the year, these allergies are said to be seasonal. Some people suffer from both perennial and seasonal allergies. They may have symptoms all year round, but they tend to be worse during certain seasons. How Do I Avoid the Triggers That Cause My Nasal Allergies?

Avoiding triggers entirely probably is not possible. But you can do a number of things to minimize them. Talk to your doctor or pharmacist about specific products – such as filters and bedding covers – that can help you clear your environment of triggers.

Please see “Nasal Allergies,” page 65

• Blisterpacking For Assisted

• BOIRON Homeopathic Remedies

• Greeting Cards, Select Books and Gifts

• Wide Home Health Care Selection Wheelchairs, Canes, Walkers, Medical Legsupport, Arthritis and Sport Aids, Bath Aids

• Toys and Books for Children

• And More

ADVENTIST MEDICAL GROUP

PRIMARY CARE SERVICES FOR YOU

Choose Adventist Medical Group Primary Care in Fort Washington, Maryland, to provide a full range of primary care services for adults.

Learn to better manage your health and prevent illnesses with personalized care from our experienced, primary care providers. Our specialists in family medicine and internal medicine work as a team to deliver expert care when you need:

• Same-day Sick Visits

• Women’s and Men’s Health and Wellness Exams

• Health Physicals, Health Maintenance and Preventive Care

• Geriatric (Senior) Wellness Exams

• Vaccinations and Immunizations, including Flu Shots

• Health Management for:

• Asthma and Allergies

• High Blood Pressure

• High Cholesterol

• Diabetes

• Heart Disease

You also benefit from coordinated care that helps you effectively handle all aspects of your health—from preventive medicine and preoperative appointments to management of chronic health conditions.

To schedule an appointment, please call 240-724-6018

10709 Indian Head Highway, Suite D1 Fort Washington, Maryland 20744 AdventistMedicalGroup.org

Ogechi Anyaoku, MD, MSPH (Internal Medicine)
Nicole Haskins, CRNP, RN (Family Nurse Practitioner)

Balance Therapy

Vestibular Rehabilitation

Orthopedic Rehab

Neurological Rehab

Pediatric Therapy

Sports Injury Rehab

Worker’s Compensation

Concussion Management

Hand Therapy

Pelvic Floor Therapy

TMJ Management

Ergonomic & Postural Training

Strength & Conditioning

Gait Training

Customized Foot Orthotics

Electrical Stimulation

Nerve Stimulation

Iontophoresis & Phonophoresis

Manual Therapy/Joint Mobilization

Soft

Angela V. McClain, PTA sees patients at our Waldorf location!
Tina L. Penny, PT sees patients
Waldorf location!
Jayshree Shah, PTA sees patients
Lanham location!
Derrick A. Martin, PT, DPT sees patients at our Bowie location!

How a Trichologist Can Help Understanding the Link Between Nutrition,

Weight Loss, and Hair Loss

Maintaining a healthy diet and achieving weight loss goals are integral to overall well-being, but these changes can sometimes have unexpected side effects, such as hair loss. Hair is a reflection of our internal health, and when the body undergoes significant changes, such as rapid weight loss or nutritional deficiencies, hair loss can occur. Under-

standing this connection and seeking professional help from a trichologist can make a substantial difference in managing and preventing hair loss.

Nutrition and Hair Health

Hair requires a variety of nutrients to grow and remain healthy, including proteins, vitamins, and minerals. Essential nutrients like biotin, zinc, iron, and vitamins A, C, D, and E play critical roles in hair growth and maintenance. A deficiency in these nutrients can lead to hair thinning or shedding. For instance, iron deficiency anemia is a common cause of hair loss, as iron is crucial for producing hair cell protein. Similarly, a lack of protein in the diet can result in weakened hair structure and increased hair fall.

Impact Of Weight Loss On Hair

Rapid weight loss, especially when achieved through extreme diet-

Please see “Trichologist,” page 65

How Counseling Can Help You Face Important Anniversaries When Grieving

A man is scrolling on social media when a Facebook memory pops up of his mom at the last Thanksgiving dinner she was able to attend before she died. Suddenly he feels an intense sadness and begins to cry.

That is anniversary grief.

His sister sees the same photo.

She instantly smiles and feels a wave or relief. It was a special day, but mom was going through chemotherapy and now she is no longer in pain.

That also is anniversary grief.

Anniversary grief is the intense feelings and emotions of grief surrounding the anniversary of a significant loss or traumatic event.

They’re not always sad or scary. Sometimes the nostalgia is welcoming. This is a normal reaction to grief. Like snowflakes, grief is different for each person. To cope with these inevitable anniversary moments, grievers can reach out to a grief counselor.

Grief counselors help clients prepare for the triggers before these anniversaries occur. They can guide them through loss, memories, worry, and sometimes regret that comes from the unfinished business their loved one left behind.

Grief counselors help children, individuals and families process the pain of grief. That can look like crying, sharing feelings of anger, guilt, regret and sadness. We hold a space to allow our clients to get in touch with how they are feeling. When these anniversaries impact the griever, they feel as if the world has moved on without their loved one and they also feel left behind. Many don’t have a tribe they can turn to. Grief counselors and grief support groups can be that tribe.

Grief counselors help their clients explore meaningful ways to maintain a deep connection with the deceased, and not only on anniversaries. It can be something as simple as lighting a candle. They can also reinvent the anniversary that they struggle with so it honors their person while bringing others in to share. One client’s mom would host a family dinner every Sunday. When she died, the dinners stopped. So, they started a new dinner tradition, getting together every Sunday with their family.

It is important not to ignore anniversaries that remind people of their loved ones. Death can cause people to drift away from each other when their loved one’s traditions aren’t continued. Death can also bring people together when they work to find a way to honor their loved one in this new life without them.

The Silent Dental Disease

Bacteria from dental plaque not only attacks the soft tissue, but will eventually attack the bone causing teeth to fall out. The most common strain of bacteria in dental plaque can cause blood clots that induce heart attacks when they enter into the blood stream. Additional studies presented that dental plaque is linked to:

• A potentially fatal disease called infective endocarditis in which the sac around the heart becomes infected with bacteria

• Lung infections in people with chronic lung diseases such as chronic obstructive pulmonary disease.

• Weakened immune systems that can slow wound healing and diminish a person’s response to vaccines against hepatitis B and influenza.

• A higher risk of giving birth to premature, low birth weight infants.

Treating gum disease has become more important than ever due to these findings. Soft tissue management is a non-surgical approach to control the infection of the gums and root surfaces. There is no cure for gum disease; it can only be managed or controlled.

Your hygienist will perform the treatment, also known as scaling and root planing, to treat the infection, make recommendations to help you effectively clean your teeth daily, and guide you through the efforts to achieve and maintain optimum oral heath.

Scaling and root planing is the

Please see “Dental Disease,” page 65

It’s My Birthday!

What does your birthday mean to you? Birthdays are our solar return around the sun.

Our body is our vehicle that takes us from one year to the next, no matter how old or young we are. Our body is considered a complicated machine, consisting of flesh, bones, glands, organs, and many systems, including blood circulation, the respiratory system, and the brain. Our body has a complex nervous system. All these systems are woven together to create our physical body. The body processes ongoing tasks to keep its functions operating. Our body needs regular tuning

through exercise and a proper diet to maintain high capacity and potential, ensuring homeostasis for living and endurance for longevity.

Our vehicle, our body, consists of all the necessary requirements to live a healthy, happy, and well-balanced life.

To keep our bodies functioning as they should, they need regular maintenance, such as exercise and proper nutrition. An unhappy body is one that has been misused and not considered for longevity.

With proper care, our systems will provide us with a healthy body and mind. Nutritious foods, vitamins, minerals, and exercise help maintain the balance of the physical body.

Our bodies, which are our vehicles, need to be consciously attuned to ensure longevity. Proper nutrients and a proper diet help the body get the nutrients it needs.

Whether you are a vegetarian, pescatarian, fruitarian, or a meat-eater, the key is balance to maintain your health. Knowing what is best for your body is crucial, regardless of your diet. Maintenance, moderation, and consciousness

Please see “Birthday,” page 66

Deciding to have plus size LIPO 360 or tummy tuck 360 or high BMI abdominoplasty (plus-size plastic surgery) for patients who are considered overweight can be absolutely life-changing. Trusted Leading Body Contouring Expert, Dr. Sheilah A. Lynch takes into consideration every patient’s surgical goals, health and anatomy and tailors each procedure to the individual, rather than using any specific BMI number as a limit.

Dr. Lynch knows that plus-sized patients can be as healthy as average-weight patients, and they recognize that thinness does not always equal good health. She believes that BMI alone should not determine anyone’s ability to be happy with who they are or their ability to change their appearance. Therefore, as part of her body contouring practice, she performs higher-BMI plastic surgery on patients who qualify.

If you want more information on plus-size plastic surgery, we are waiving our consultation fee for the month of September and have financing available. Our all ladies practice is safe, confidential and comfortable.

issues in men and women can interfere with metabolism. Also many common medications such as antidepressants and proton pump inhibitors (acid reducers) can make it hard to lose weight. Are you exercising? Typically, exercise is 20-30% of the equation when it comes to weight loss. Remember, muscle burns calories much more than fat. For every extra pound of muscle you put on, your body uses around 50 extra calories a day. If you have lost muscle mass from not exercising or from medical reasons (like chronic steroid use) it may take very few calories

HFrom page 19

to maintain your body weight. This is why some people claim, truthfully, that they hardly eat, but can’t lose weight.

Once these issues are looked at, for the vast majority of people with weight issues, weight gain is a function of excess calories, simple carbohydrates and insulin resistance. Insulin is a hormone in our body that converts sugars into fat (triglycerides), and drives that fat into fat cells and blocks the exit of fat from fat cells. Countless patients with a lifetime of weight struggles, or new issues as they age, who get these issues addressed find that weight loss becomes much easier.

ealtH y Smile

needs of each patient. Whether you’re undergoing a complex procedure or a routine dental treatment, your peace of mind is our priority.

Patient-Centric Approach:

At Total Dental Care, we prioritize your comfort with a patient-focused approach, offering amenities such as heated chairs with massage features, ensuring a relaxed experience. Our team is dedicated to fostering a positive dental experience, emphasizing

Depre SSion

things the way you used to, restless or irritable, as if no one loves you, life is not worth living. Are you sleeping more or less than usual, eating more or less than usual, having persistent headaches, stomach aches or chronic pain?

Some of these symptoms may be present with other illnesses as well, however, the possibility of depression should not be overlooked.

New technologies reveal that in depression neural circuits in the brain that control mood, thinking, sleep, etc. can fail to function properly and

Beauty tipS

dry and brittle. Consider switching to a more nourishing shampoo and conditioner. Look for products that are free from sulfates and rich in natural oils to maintain your hair’s moisture balance. Incorporating a weekly deep conditioning treatment can also help keep your hair healthy and shiny.

5. Lip Care

Your lips are particularly susceptible to dryness in the fall. Use a hydrating lip balm with ingredients like shea butter or beeswax to keep your lips soft and smooth. Exfoliating your lips gently with a lip scrub can also help remove dead

CoSmetology

they learn both theoretical and practical aspects of the profession. Courses typically cover anatomy, hygiene, chemistry, and business management, alongside hands-on practice in various beauty treatments. After completing their education, students must pass a state licensing exam to practice professionally. Continuous education is also crucial in this field, as trends and technologies are constantly evolving.

Career Opportunities

From page 12

communication and education to empower patients in making informed decisions about their oral health.

Total Dental Care stands as a beacon of excellence in dental health, providing total solutions for patients seeking comprehensive, detail-oriented care. Experience the difference with our wide range of services and patient-focused approach, ensuring your journey to a healthy smile is seamless and satisfying.

From page 48

that the chemicals used by the brain to communicate are out of balance.

Antidepressant medications and psychotherapy are effective treatment for depression. More than 80% of people with depression improve when they receive appropriate treatment. This includes the older population.

Your primary care provider, local office on aging or local mental health providers are resources where additional information may be gathered on available services.

From page 21

skin cells and enhance their natural color.

6. Update Your

Makeup

As the seasons change, so can your makeup palette. Fall is a great time to experiment with richer, warmer tones. Consider incorporating earthy shades like browns, burgundies, and golds into your eye makeup and lip color.

By following these essential beauty tips, you can ensure a smooth transition from summer to fall while keeping your skin and hair healthy and vibrant. Embrace the new season with confidence and enjoy the changes it brings to your beauty routine.

The cosmetology industry offers a wealth of career opportunities. Many cosmetologists work in salons and spas, providing a range of services to clients. Others choose to specialize in specific areas, such as becoming hair colorists, skincare specialists, or makeup artists. The film and fashion industries also rely heavily on cosmetologists to create stunning looks for models, actors, and performers. Additionally, some cosmetologists pursue careers in product development, education, or salon management, leveraging their expertise to innovate and lead within the industry.

The Impact Of Cosmetology

Cosmetology goes beyond aesthetics; it has a profound impact on individuals’ self-esteem and well-being. Skilled cosmetologists possess the ability to transform not only their clients’ appearances but also their self-perception and confidence. This transformative power is particularly evident in cases such as bridal makeup, where a cosmetologist’s work can make a significant difference on a person’s special day, or in medical aesthetics, where treatments can help individuals recover their self-esteem after illness or injury.

Embracing the Future

The future of cosmetology is bright, with advancements in technology and an increasing focus on sustainability shaping the industry. Innovations such as noninvasive cosmetic procedures, personalized skincare, and eco-friendly products are becoming more prevalent, offering new possibilities for both professionals and clients. As the industry continues to evolve, cosmetologists will remain at the forefront of beauty and self-care, continually striving to enhance their skills and provide exceptional service.

a ll- on-Four

surprise about the all-on-four is how quickly it can transform your life.

What’s The All-On-Four Dental Implant Procedure Like?

First, either local or general anesthesia will be administered.

Second, the dentist or surgeon will prepare your mouth for the implants, which involves removing your remaining teeth that are failing. They will then remove any diseased or infected tissue from your jaw and gums.

Next, they will insert the titanium screws into your jawbone. Most likely,

From page 18

they will place two implants toward the front of your mouth and two towards the back of your mouth so the “anchors” can evenly bare the force of the denture. After the implants have been placed, they will thoroughly clean the surgical sites and suturing all the incisions. Then you’ll be taken to a recovery room where you can relax and take time to wake up from the anesthesia. Schedule a consultation with an All-On-Four provider. It’s the best way to find out how dental implants can change your life.

Foot i njurie S

Heat promotes blood flow, causing greater swelling. An ice bag wrapped in a towel has a contracting effect on blood vessels, produces a numbing effect, and prevents swelling and pain.

• “Applying an elastic bandage to a severely sprained ankle is adequate treatment.” False; ankle sprains often mean torn or severely overstretched ligaments, and they should receive immediate care.

• “The terms ‘fracture,’ ‘break,’ and ‘crack’ are all different.” False; all of those words are proper in describing a broken bone.

Before Seeing the Podiatrist If an injury or accident does oc-

From page 16

cur, the steps you can take to help yourself until you can reach your podiatric physician are easy to remember if you can recall the word “rice.”

• Rest. Restrict your activity and get off your foot/ankle.

• Ice. Gently place a plastic bag of ice wrapped in a towel on the injured area in a 20-minute-on, 40-minute-off cycle.

• Compression. Lightly wrap an Ace bandage around the area, taking care not to pull it too tight.

• Elevation. To reduce swelling and pain, sit in a position that allows you to elevate the foot/ankle higher than your waist.

Sa F eguar D BaCk

apy encourages sustainable lifestyle changes rather than temporary fixes. It focuses on altering one’s mindset, promoting spiritual eating, and addressing the root causes of unhealthy behaviors.

Improved Body Image: Hypnotherapy can enhance body appreciation and self-esteem. By fostering a positive self-image, individuals are more likely to engage in behaviors that support their health and well-being.

Increased Motivation: The hypnotic state can boost motivation for physical activity and healthier eating. Hypnotherapy often includes suggestive hypnosis recordings and motivational messages that help create new neural pathways leading to positive change.

Stress Reduction: Stress is a common trigger for overeating and poor food choices. Hypnotherapy can reduce stress and anxiety, making it easier to adhere to a healthy lifestyle.

Potential Changes and Benefits

Joint and Bone Health: Maintaining a healthy weight prevents damage to joints and bones, reducing the risk of conditions like osteoarthritis.

Dental ViSit

follow-up visits. In the past, dentists typically called for visits every six months. However, this schedule may vary according to each child’s needs and risks. As the child grows, the dental team can help you, the parent, learn how to prevent common oral problems.

Before leaving the office, you should have a clear idea about

which continues for up to two years. Patients lose over 100 pounds on average.

Reversal of Health Problems

Many health conditions are reversed after surgery. Diabetic patients, for example, have an immediate reduction or even cessation of their diabetic medications. Many will not need to go back on these medications. Other conditions that are reversed or have significant improvement include high blood pressure, high cholesterol, sleep apnea, acid reflux and arthritis.

Better Quality of Life

Individuals experience increased energy, increased stamina and better mood. For many, it means no more

Enhanced Appearance: As weight is lost, clothes fit better, and individuals often feel more confident in their appearance.

Improved Health: Weight loss can lead to better circulation, reduced risk of heart disease, and improved respiratory function.

Increased Energy and Stamina: A healthier weight contributes to higher energy levels and better overall stamina.

Better Relationships: Improved self-esteem and confidence can enhance personal relationships and social interactions.

Transpersonal Hypnotherapy offers a holistic approach to weight loss by addressing the body, mind and spirit. By changing subconscious patterns and promoting healthy habits, it empowers individuals to achieve their ideal weight and maintain it in the long term. If you are tired of the cycle of fad diets and short-lived results, hypnotherapy might just be the fuel you need to sky rocket yourself to lasting changes – your ideal weight and fitness for as long as you like – a happier healthier you!

From page 29

1. Your child’s development

2. Your responsibilities

3. Follow-up care by the dentist

4. Your child’s likelihood of having problems with cavities or bite

You should have your questions answered. You also should know what you and the dentist can do together to make sure your child has excellent oral health.

shortness of breath when walking, being able to walk farther distances, reduction in the joint and back pains that have been present for years, or simply getting more restful sleep at night. There is a greater tendency to engage in social events and feeling comfortable, especially so with children and grandchildren.

Decreased Health Costs

Improved health means cutting down on daily medication needs, spending less on medications, and decreased need for medical visits and hospitalizations. Improved health also means avoiding health complications that may be waiting over the next 5-10 years or further into the future.

the strength of your legs, not your back, to power the movement. Hold the object close to your body, and avoid twisting or jerking motions while lifting or carrying it.

3. Utilize Assistive Equipment: When dealing with particularly heavy or bulky objects, consider using assistive equipment to alleviate the strain on your back. Items like dollies, hand trucks, or lifting straps can significantly reduce the load on your spine and distribute the weight more evenly. Whenever possible, ask for assistance from others to share the lifting load, especially for items that exceed your physical capabilities.

4. Take Breaks and Avoid Overexer-

um Brella

It must be noted that umbrella policies do not cover damage to your property or injuries to you or your family. These policies are intended to protect you from liability claims made by others against you or others insured under the policy, which could be your spouse, children, and other relatives living with you who do not have a car or home in their name.

tion: Lifting tasks can be physically demanding, so it’s important to pace yourself and avoid overexertion. If you’re engaged in prolonged lifting activities, take regular breaks to rest and recover. Listen to your body and pay attention to any signs of fatigue or discomfort. Pushing yourself beyond your limits can lead to injuries. Remember, it’s better to take short breaks and complete the task safely than to risk potential long-term damage to your back.

Prioritizing the safety of your back during lifting activities is essential for preventing injuries. By implementing these tips, you can protect your back and maintain a healthy, pain-free lifestyle.

Furthermore, umbrella policies usually require you to have certain minimum limits on your primary insurance policies to qualify for coverage.

Remarkably, umbrella policies are relatively inexpensive. You should contact an insurance professional who can help you decide on the need for an umbrella policy.

egg F reezing

4. Ovarian Stimulation

You will self-administer hormone injections for about 10–14 days to stimulate your ovaries to produce multiple eggs. Regular monitoring through blood tests and ultrasounds will ensure your response to the medication is optimal.

5.

Egg Retrieval Procedure

Once the eggs are ready, a minor surgical procedure is performed to retrieve them. Under sedation, a needle is guided by ultrasound to collect the eggs from the ovaries. This procedure is quick, typically lasting 20–30 minutes.

6. Freezing the Eggs

After retrieval, the eggs are immediately frozen using a method called vitrification. This flash-freezing technique prevents the formation of ice crystals, ensuring the eggs remain viable for future use.

7. Storage and Maintenance

Frozen eggs can be stored for many years. Most clinics in Maryland offer long-term storage options. It’s important to discuss the storage fees and any long-term plans with your clinic.

8.

Costs and Financing Options

The cost of egg freezing can vary, but it typically includes the initial consultation, medication, monitoring, egg retrieval, and storage. Many clin-

From page 28

ics offer financing options or payment plans to help manage the expense. It’s worth discussing these options during your initial consultation.

9. Success Rates and Considerations

The success of egg freezing depends on several factors, including your age at the time of freezing and the number of eggs retrieved. Generally, freezing your eggs at a younger age yields better results. Your fertility specialist can provide personalized insights based on your situation.

10. Emotional and Psychological Support

The decision to freeze your eggs can be emotionally challenging. Many clinics offer counseling services to support you through the process. Connecting with others who have undergone the same procedure can also be beneficial. Egg freezing is a powerful option for women looking to take control of their reproductive futures. Understanding the process, choosing the right clinic, and knowing what to expect can help make the journey smoother. If you’re considering egg freezing in Maryland, take the time to research and consult with experts to make the best decision for your needs. Prevously publised on Medium.com

HEALTH DIRECTORY

ACUPUNCTURE

Eastern Medical Holistic Healing Center

– Angel Wood – 240-755-5925 – www. Acupuncture4Wellness.Webs.com.

West Annapolis Acupuncture – Brittney de Vicq, LAc, MAc – 410-375-9716 – BrittneyAcupuncture.com – Annapolis, MD.

CHINESE MEDICINE & ACUPUNCTURE

Quansheng Lu, CMD, PhD, LAc – www. WholelifeHerb.com – 301-340-1066.

CHIROPRACTIC

Kovach Chiropractic & Wellness Center

– Alicia Kovach, DC – 410-697-3566.

Effective Integrative Healthcare – Crofton 410-774-0644 – Millersville 410-729-2200 – Lanham 301-577-6556.

DENTISTRY

Cosmetic Dental FX – Judy Yu, DMD, MBA – 410-360-0440 – www.DentalFXMD.com – Pasadena, MD.

Lighthouse Family Dentistry –E. Taylor Meiser, DDS – 410-224 4411 – Annapolis, MD.

Karl A. Smith, DDS – Waldorf, MD –301-638 -4867.

DERMATOLOGY

Hema A. Sundaram, MD – Dermatology, Cosmetic & Laser Surgery – 11119 Rockville Pike, Suite #205, Rockville – 301-984-3376 – Also in Fairfax, VA.

EYE CARE

McNelly Optical, Inc. – 410-263-2692 – www.McNellyOptical.com – Annapolis, MD.

FERTILITY

Montgomery Women’s Fertility Center – 301-946-6962 – MontgomeryFertilityCenter.com – Rockville, MD.

HEALTH AND WELLNESS

Taylored 4 Life Wellness, Inc. – Gregory Taylor, MS – 301-979-9010 – Taylored4LifeWellness.com – Largo, MD.

HOME CARE

At Home Care, Inc. – 301-421-0200 – AtHomeCareInc.com – Since 1977.

HORMONES

New Day Vitality Hormone Center –410-793-5212 – Arnold, MD and Easton, MD – NewDayVitality.com.

HYPNOSIS

Toni’s Happy Hour Yoga and Holistic Wellness Center – 301-449-8664. HYPNOTHERAPY

Hypnotherapy By The Bay – 410-2124144 – www.HypnoByTheBay.com –JanisKCJarvis@HypnoByTheBay.com

INTEGRATIVE MEDICINE

Alan Weiss, MD, Annapolis Integrative Medicine – 410-266-3613 – 1616 Forest Drive, Suite #3, Annapolis, MD 21403.

Taylor Integrative Health – Janay Taylor – 410-292-0483.

MEDICAL SPACE

Charles L. Feitel Company – 301-571-9333 – www.MedicalandDentalSpace.com.

MENTAL HEALTH SERVICES

Charles Co. Freedom Landing, Inc. –301-932-2737 or 301-870-3969.

House Calls, LLC – 301-346-6732 –CallingOnBeth@gmail.com – www. CallingOnBeth.net.

Luminox Healthcare Services – 240553-7970 – LuminoxHealth.com.

MRI

Washington Open MRI, Inc. – 6 Locations: 15005 Shady Grove Road, Suite #110, Rockville, MD 20850; 6196 Oxon Hill Road, Suite #110, Oxon Hill, MD 20745; 5530 Wisconsin Avenue, Suite #529, Chevy Chase, MD 20815; 25 Crossroads Drive, Suite #180, Owings Mills, MD 21117 – www.WashingtonOpenMRI.com – 301-908-8279.

NEUROLOGY

Charles C. Reel, MD – Maryland Gait and Balance Disorder Center – Charlotte Hall, MD – 301-290-0395.

NUTRITION

Nutritional Healing Center – Thomas K. Lo, DC, MA – 240-651-1650 – 7310 Grove Road, Suite #107, Frederick, MD 21704 – DoctorLo.com

Good Health Nutrition Services,LLC –1300 Mercantile Lane, Suite 129-37, Largo, MD 20774 – 301-341-4680 – www.ghnutritionservices.com – We accept Insurance.

CHOOSE SKIN HEALTH: DR.

ORTHODONTICS

Jacqueline Brown Bryant DDS, MS, PC – Damon, Clear Braces & Invisalign for Adults And Children – Silver Spring, MD 20910 – www.SmileConstructors. com – 301-587-8750. PAIN MANAGEMENT

Georgetown Pain Management – Netsere Tesfayohannes, MD, ABA, ABAP – 301-718-1082 – 8120 Woodmont Ave., Ste 560, Bethesda, MD – 7300 Hanover Dr., Ste 204, Greenbelt, MD.

Newbridge Spine and Pain Center – 301-638-4400 – www.NewbridgeSpine.com.

Metropolitan Pain & Spine – Dr. Levi Pearson, III, MD, MBA – 9501 Old Annapolis Road, Suite #305, Ellicott City, MD 21042 – www.MetropolitanSpine. com – 410-772-6312.

PAIN MANAGEMENT

Pain & Rehab Center, LLC – Dr. Gelareh Naenifard, DC – 5855 Allentown Road, Suite #19, Suitland, MD 20746 – www.PainRehabCenterMD. com – 301-925-2013.

PODIATRY

Bowie Foot Care – Howard Horowitz, DPM – 301-464-5900.

Largo Foot and Ankle Health Center – Ade Adetunji, DPM – 301 386 5453.

PRIMARY CARE

Loving Care – Janet Johnson, MD –Hyattsville, MD – 301-403-8808.

SENIOR CARE

Chevy Chase Home Care. Help at a time you need it most. Any Ages. Any situations. Any shifts. MD, DC, VA – www. CHCHHomeCare.com – 202-374-1240.

SENIOR CARE

St. Mary’s Nursing & Rehabilitation Center – 301-475-8000 – Leonardtown, MD – www.StMarysNursingCenter.com. SPA (MEDICAL) Millennium MediSpa – 301-652-9005 –www.AnythingCosmetic.com.

VETERANS

Charlotte Hall Veterans Home – 301884-8171 – Waldorf, MD. WEIGHT LOSS

The Bariatric and Hernia Institute – Dr. Etwar McBean – 240-206-8506 – www. TBHInstitute.com.

YOGA

Toni’s Happy Hour Yoga and Holistic Wellness Center – Toni Greene, Owner – 301-449-8664.

m aSSage tH erapy

sleep quality and mental clarity.

Moreover, massage therapy aligns with the principles of holistic health, which emphasize the interconnectedness of the mind, body, and spirit. A relaxation massage, in particular, can create a state of tranquility that allows individuals to reconnect with themselves on a deeper level. This holistic approach helps to balance the body’s energy, reduce emotional stress, and foster spiritual growth. By addressing the whole person rather than just isolated symptoms, massage therapy can lead to more sustainable health outcomes.

Incorporating regular massage therapy into your lifestyle can be a

From

powerful tool for maintaining balance and health. Whether it’s a deep tissue massage to relieve chronic pain or a gentle relaxation massage to soothe the mind and spirit, the benefits are multifaceted. Embracing this holistic therapy can enhance your overall quality of life, fostering a harmonious connection between the mind, body, and spirit.

Massage therapy is a vital component of a healthy lifestyle. Its ability to heal and balance the mind, body, and spirit makes it an invaluable practice for anyone seeking holistic wellness. So, take the time to invest in your health and well-being through regular massage therapy and experience the profound benefits it can bring to your life.

Dental DiSeaSe

treatment of the diseased root surfaces below the gum line. This differs from a routine prophylaxis (cleaning) because it emphasizes cleaning below the gum line where the plaque thrives. Scaling and root planing focuses on eliminating tartar and plaque and detoxifies the root surfaces where the disease occurs before it reaches the bone where it is not reversible.

What your dentist hopes to accomplish with soft tissue management:

• Gums that do not bleed. Healthy gums do not bleed. Bleeding is a

CalluSe S

use nonprescription medications to dissolve corns and calluses. These treatments commonly contain salicylic acid, which may cause irritations, burns, or infections that are more serious than the corn or callus. However, people with diabetes, poor circulation, reduced feeling or no flexibility, eyesight should avoid these products.

When To Call a Professional

naSal a llergie S

How Can I Control My Symptoms?

Seasonal and perennial nasal allergies can be treated effectively using medications. Many are available without a prescription. Talk to your doctor or pharmacist to determine which one of these is best for you.

Antihistamines:

• Oral medications (taken by mouth)

• Nasal sprays

How it might help:

• Reduces itching, sneezing, eye irritation, and runny nose.

What to keep in mind:

• Not effective for nasal congestion.

• May cause drowsiness.

From page 57

sign of infection.

• Fresher breath and taste.

• Gums that are pink, firm, and knife edge inter dental papilla.

• Reducing pocket depth.

• Control of gum disease.

Patients with gum disease are placed on a three-month re-care. This is a requirement for successful therapy. Studies have shown that within three months the plaque recycles itself.

It is very important for those who have gum disease to receive routine treatment.

From page 50

Make an appointment to see your podiatrist if you have painful corns or calluses. If you have diabetes or poor circulation, examine your feet every day. For the best view, use a mirror to inspect the soles of your feet and the skin folds between your toes. If you see an area of redness, swelling, bleeding, blisters or any other problem, call your doctor/podiatrist promptly.

triCHologiSt

ing, can shock the body and disrupt the normal hair growth cycle. This type of hair loss, known as telogen effluvium, occurs when a large number of hair follicles enter the resting phase simultaneously. The stress of sudden weight loss and nutritional imbalances can trigger this condition, leading to noticeable hair thinning. While telogen effluvium is usually temporary, it can be distressing and impact self-esteem.

Role Of a Trichologist

A trichologist is a specialist in hair and scalp health. They can pro-

From page 56

vide personalized treatment plans that may include dietary recommendations, nutritional supplements, and topical treatments to stimulate hair growth and improve hair quality.

In cases where hair loss is related to nutritional deficiencies or rapid weight loss, a trichologist can offer guidance on achieving a balanced diet that supports both overall health and hair vitality. By addressing the root causes and providing tailored solutions, a trichologist can help individuals regain their hair health and confidence.

• Antihistamine nasal sprays may leave a bad taste in the mouth.

Decongestants:

• Oral medications (taken by mouth)

• Nasal sprays

How it might help: Reduces nasal congestion.

What to keep in mind:

• Can cause difficulty sleeping, loss of

epilepSy

puncture stand as the principal pillars of this ancient healthcare symphony.

In the gallery of recent studies, a vibrant tableau of promise takes shape, capturing the potential of Chinese medicine’s potent blend of herbal alchemy and acupuncture in the treatment of epilepsy. Woven within this tapestry are the age-old remedies, with herbal blessings bestowed upon humanity since the dawn of antiquity. Consider, for instance, tian ma, the esteemed root of Gastrodia, a staple within China’s pharmacopeia, renowned for its role in addressing epilepsy and other maladies.

The annals of medical history unveil an intriguing trio of cases, where individuals grappling with intractable epilepsy found solace through the traditional herbal formulation Bu-yanghuan-wu-tang. Echoing through the corridors of time are the resounding endorsements from reviewers, spotlighting studies that illuminate the potential anticonvulsant properties of Chinese

appetite, or excessive nervousness.

• Decongestant nasal sprays may temporarily reduce nasal congestion but can cause even more severe congestion if used for more than 3-5 days or more often than recommended.

Cromolyn Sodium Nasal Spray:

How it might help: Effective in some people for controlling symptoms of nasal allergies.

What to keep in mind:

• Works only if used before nasal symptoms appear.

• Won’t work during an active allergy attack

Corticosteroid Nasal Spray:

How it might help:

• Highly effective treatment of nasal allergies.

• Used as the primary preventive treatment for patients with moderate to severe allergies.

What to keep in mind:

• May cause nasal dryness.

• As an oral medication, can be taken over the short term (3-7 days) for treatment of severe symptoms.

From page 48

herbal remedies like Qingyangsen and Zhenxianling, offering a harmonious note of hope with fewer dissonant side effects compared to conventional antiepileptic medications.

In the elaborate mosaic of healing, acupuncture emerges as a poignant brushstroke, gracefully wielded by Traditional Chinese Medicine. Anecdotal accounts intertwine with mouse studies, suggesting the potential efficacy of acupuncture against epileptic seizures and the cellular toll they bear. A Norwegian chapter adds to this tapestry, where a trial involving 29 individuals grappling with unyielding epilepsy explored the potential of acupuncture, revealing promising but not yet statistically significant results.

The choreography of healing, however, often calls for a dual performance, harmonizing herbal medicine with acupuncture in a synergistic dance. Typically spanning 3-6 months, this therapeutic pas de deux seeks to mend the discordant notes of epilepsy, crafting a melody of health and vitality.

From page 20

tributes to better oral health. Brushing and flossing are more productive. A straight bite helps eliminate wear on your teeth that can lead to cavities. During therapy, you can remove your aligners when brushing and

flossing, or eating and drinking. This approach contributes to better oral care throughout treatment. With traditional metal braces, you have to work hard to clean around brackets and wires.

• Inflammation

• Fatigue

• Frequent infections

• Obesity

• Constipation

• Congestion

• Brain fog

• Weight gain

• Skin issues

Causes Of Lymphatic Congestion:

• Surgery (cancer, orthopedic, csections, beauty augmentation)

• Radiation

• Lipedema

• Chronic Venous Insufficiency

• Sinus congestion

• Long Haul COVID

10 Tips To Support Your Lymphatic System:

Stay Hydrated: Consume enough water and use safe skin products. Check EWG Skin Deep for product safety.

Perform Lymphatic Massage: Consult a certified lymphedema therapist for safe techniques.

Diaphragmatic Breathing: Practice deep breathing exercises to stimulate lymphatic flow.

Dry Brushing: Promote lym -

phatic flow, blood circulation, and skin care.

Use Compression: Your therapist can recommend the best compression garments for you.

Exercise: Engage in regular physical activity, including swimming for its cooling and compressive benefits.

Rebounding: Gentle bouncing on a mini-trampoline can enhance lymphatic circulation.

Vibration Therapy: Stand on an oscillating plate to stimulate multiple body systems.

Nutritional Strategies: Eat foods like pineapple, papaya, garlic, onions, leafy greens, omega-3s, citrus, and plant-based foods.

Essential Oils: Use diluted essential oils like grapefruit, lemon, tea tree, and peppermint to support lymphatic drainage.

Note: Choose quality essential oils, dilute them properly, and ensure they are kid-safe if used on children.

By following these tips, you can help ensure your lymphatic system remains healthy and functions optimally.

ortHoDontiCS

ease, gingival inflammation or gingivitis. There is a direct correlation between oral health and such general health diseases as heart disease and diabetes.

Remember the American Dental Association recommends that you 1) Change your tooth brush at least every 3-4 months; a worn, frayed toothbrush will not do a good job. 2) Brush at least 3 times a day with fluoride tooth-

From page 50

paste; 3) Floss once a day with floss or interdental cleaner, as tooth causing bacteria lingers between the teeth where bristles can’t reach. This helps remove plaque, a sticky film, and food particles between the teeth and near the gum line. 4) Eat a balanced diet, limit sugary foods and limit between meal snacking. 5) See your dentist at least twice a year for a cleaning and exam.

menopause are also at a higher risk for cardiovascular diseases due to changes in cholesterol levels and blood pressure. Moreover, menopause can affect mental health. The hormonal changes can contribute to mood swings, anxiety, and depression. Sleep disturbances, common during this period, can further exacerbate these issues.

Management and Treatment

Managing menopausal symptoms often involves lifestyle changes and medical treatments. A balanced diet rich in calcium and vitamin D, regular physical activity, and maintaining a healthy weight can help mitigate some of the risks associated with menopause. For hot flashes and night sweats, dressing in layers, keeping the bedroom cool, and practicing relaxation techniques can provide relief.

Hormone Replacement Therapy (HRT) is a medical treatment option

that involves supplementing estrogen and progesterone to alleviate symptoms. However, HRT is not suitable for everyone and can have side effects. It’s essential to discuss the risks and benefits with a healthcare provider. Non-hormonal treatments, such as antidepressants or medications to prevent bone loss, may also be considered. Additionally, herbal supplements and alternative therapies, like acupuncture, have been used by some women to manage symptoms, though their effectiveness varies.

Menopause is a natural part of aging, bringing both challenges and opportunities for women to focus on their health. Understanding the stages, symptoms, and management options can help women navigate this transition with greater ease and confidence. Regular check-ups and open communication with healthcare providers are crucial in managing menopausal health effectively.

kypHoplaSty

Once the desired height is achieved, the balloon is deflated and removed, leaving behind a cavity. This void is then filled with bone cement, which hardens quickly, stabilizing the fracture and restoring vertebral height. By restoring vertebral body height and reducing kyphosis, kyphoplasty helps to relieve pain, improve mobility, and prevent further collapse of the affected vertebra.

From page 46

several advantages over traditional conservative treatments, such as bed rest, pain medications, and bracing. While these treatments may provide temporary relief, they do not address the underlying cause of the fracture or prevent further vertebral collapse. In contrast, kyphoplasty not only stabilizes the fracture but also helps to restore vertebral height and alignment, reducing the risk of future fractures and complications.

One of the primary benefits of kyphoplasty is its ability to provide rapid and sustained pain relief for patients with VCFs. Clinical studies have shown that patients experience significant reductions in pain scores immediately following the procedure, with continued improvement in pain and function over time. This rapid relief can have a profound impact on patients’ quality of life, allowing them to return to daily activities and enjoy a better overall sense of well-being.

Moreover, kyphoplasty offers

BirtHDay

are the keys to longevity. So, whether you eat meat, cheese, or eggs, balance is what matters.

The body needs a certain amount of nutrients from our foods and thoughts to maintain a healthy mind and body.

Out-of-balance bodies can suffer from diabetes, heart disease, constipation, high cholesterol, and other ailments that result from our choices. Why not choose to maintain the ho-

Additionally, kyphoplasty is a minimally invasive procedure with a low risk of complications, making it a safe and effective option for many patients. The procedure can typically be performed on an outpatient basis, allowing patients to return home the same day and resume normal activities shortly thereafter. Compared to more invasive surgical interventions, kyphoplasty offers faster recovery times, fewer complications, and improved outcomes for patients with VCFs.

From page 57

meostasis of the body?

Your birthday is your solar return, whether you celebrate it or not. How well you have taken care of your body determines how long you live and the quality of your life. The choices you make in caring for your machinery (your body) are a result of what we consciously or unconsciously eat or do. The choices we make can heal or harm us.

Happy Solar Return.

Our Care for You Is More Than Skin Deep…

Your skin is the largest organ in your body and, together with your hair and nails, the mirror of everything that’s happening internally. After over twenty years as a fellowship-trained, Board Certified dermatologist and as a cosmetic surgeon, I am completely convinced of the positive effects of integrating medical and cosmetic treatments to balance how you look with how you feel. When that balance is missing or has been lost with age, how we look doesn’t represent who we really are inside. Others may assume that an older, stressed or worried appearance means a lack of ideas, energy and creativity. This impacts us both personally and professionally. The greatest joy of my profession is restoring the inner-outer balance for the women and men who consult me. They find it an exhilarating experience to look in the mirror, and love the reflection that’s looking back.

My team and I offer you breakthrough technology, advanced science and true artistry in a warm, compassionate and emotionally intelligent environment. We stay on the cutting edge, serving as national research and training centers - in many cases, the only centers in the mid-Atlantic and East - for expert treatment of skin, hair and nail conditions and state of-the-art techniques including lasers, fillers, Botox, fat grafting, platelet-rich plasma (PRP), chemical peels, liposuction and body contouring and vaginal rejuvenation.

My mission in my North American and global research is to elucidate the scientific basis of new and emerging technologies, and how this science can be applied to achieve the best and safest procedural outcomes. As a Principal Investigator for studies of new technologies, a national and international teacher of dermatologists and plastic surgeons, and one of a handful of experts serving as an advisor and director of advanced medical education programs, I’m confident that you will achieve the best possible results when you entrust your face and body to our hands. As a daily practitioner of yoga, I understand the value of a holistic approach. Above all, my team and I promise to give you straight answers. We’ll steer you through the hype and jargon, and help you restore the inner-outer balance that empowers us in every aspect of our lives.

Dr. Hema Sundaram, MA, MD, FAAD • Board Certified in Dermatology

• Fellow and Visiting Professor for the American Society for Dermatologic Surgery (ASDS) • Fellow of the American Academy of Dermatology.

• Premier medical training at Cambridge University (England), University of Chicago and NIH.

• Internationally recognized physician teacher, researcher and author.

• International Speaker and Course Director at Dermatology and Plastic Surgery Academies.

• International Physician Trainer and Advisor.

• North American Chairperson of the Global Aesthetics Alliance and Global Aesthetics Consensus Group for Procedural Safety.

• Author of book chapters and scientific papers in plastic surgery and dermatology academy journals.

• Author of “Face Value: The Truth About Beauty and a Guilt-Free Guide To Finding It” - selected for the National Press Club Authors’ Night.

• Quoted as an expert in leading publications including The New York Times, USA Today, Prevention, Good Housekeeping, Allure, Marie Claire, Essence, Cosmopolitan, Self and Woman’s World.

• Medical Advisor to Fitness magazine and for tv and radio shows.

• Charities supported include Skin Cancer Foundation, Breast Cancer Awareness and The Leukemia & Lymphoma Society.

Hema Sundaram, MA,

Turn static files into dynamic content formats.

Create a flipbook
Issuu converts static files into: digital portfolios, online yearbooks, online catalogs, digital photo albums and more. Sign up and create your flipbook.