Maryland June 2024

Page 1

ViewLatest Editions GREAT Information From Local Doctors To Help You Live Healthier! 34 Years 1990 • 2024 Makinga Diference Virginia • Maryland•Washing to n D C Celebrating Health Directory Page 64 READ ABOUT BEAUTY & SKIN CARE PEDIATRIC DENTISTRY INFLAMMATION WEIGHT REDUCTION MENTAL ILLNESS WHIPLASH DIAGNOSIS DENTAL IMPLANTS PAINFUL SEX SENIOR LIVING 50 CENTS LOCAL HEALTH PROFESSIONALS In Our Next Edition, Meet Your LOCAL DOCTORS & ARTICLES at YOURHEALTHMAGAZINE.NET
and
Bethesda Chevy Chase Pediatric Dentistry Mini Implants Thunderbird Dental Hearing Aids Janice Trent, AuD ALF (Advanced Light Force) Therapy Sleep & TMJ Therapy Biographical Profiles of Local Doctors & Practitioners HEALTH TECHNOLOGY Pages 30-31 Maryland Edition | June 2024 PAIN Management & Rehabilitation Special Focus... PAGES 32-40 Ron Murray, PhD Integrative Healthcare Shawn
Oral
Dr.
Pain
Kovach Chiropractic & Wellness Center Featured Professionals Effective Integrative Healthcare
Tongue-Ties
Frenectomies
Samad, DDS
Surgery
Anver Khan
Management

New Technology

Hurt in an Auto Accident?

Don’t Let Undiagnosed Whiplash Steal Your Quality of Life!

• Our DMX technology captures images of your spine in motion, where your symptoms are likely to appear.

• Traditional X-rays are designed to take pictures of patients standing still, missing whiplash and neck ligament injuries.

• Motion causes your symptoms, so it makes perfect sense that scanning during motion is more likely to reveal the problem.

• Our weight-bearing open MRI can scan your spine in its normal, weightbearing posture.

• Patients can be positioned upright, allowing for a full range of motion to be captured.

• The scanner is fully functional inside the magnetic field, enabling unique patient positions.

• You can watch TV during your scan, and a loved one can accompany you for reassurance.

• Conventional “lie-down” MRI scanners can miss your whiplash diagnosis!

Don’t suffer in silence – take control of your health and book an appointment today!

The Power of Weight-Bearing Open MRI and Digital Motion X-Rays Revolutionizing Whiplash Diagnosis

Submitted by Washington Open MRI

Whiplash is a common injury that occurs in over 90% of all auto accidents. It happens when the head is suddenly jerked back and forth, which can cause damage to the soft tissues in the neck. Unfortunately, most people (90%+!) who suffer from whiplash don’t even realize it. And for those who do, the diagnosis is often missed or misdiagnosed. This unfortunately leads to long-term, permanent damage and disability with no compensation.

However, there is hope! Thanks to modern medical technology, we now have access to tools like weight-bearing open MRI’s and digital motion x-rays (DMX) that can help detect and diagnose whiplash with greater accuracy.

Weight-bearing open MRI’s are a game-changer because they allow patients to be scanned while standing upright. This means that doctors can get a more accurate picture of what’s going on with the spine, particularly in cases where whiplash has caused damage to the ligaments or other soft tissues. And because the patient is in a natural weight-bearing position, the scan can capture the full range of motion and flexion, which is crucial for accurate diagnosis.

But that’s not all. Weightbearing open MRI’s are also more comfortable for patients. They’re less claustrophobic than traditional MRI machines, and patients can watch TV or even have a loved one in the room with them during the scan.

Digital motion x-rays, or DMX, are another tool that can

help diagnose whiplash. Unlike traditional xrays and MRIs, which are designed to capture images of a patient who is standing still, DMX captures images of the spine in motion. This is important because, as we mentioned earlier, the symptoms of whiplash often present themselves when the patient moves their neck. With DMX, doctors can see the full extent of the damage and now develop a more accurate treatment plan.

The benefits of these technologies cannot be overstated. Not only do they provide a more accurate diagnosis, but they also help doctors develop better treatment plans. This means that patients who suffer from whiplash are more likely to receive the care they need to recover fully and avoid permanent damage.

But here’s the problem: many

people are unaware of these technologies, or they don’t know where to go to receive them. That’s why it’s so important to spread the word. If you or someone you know has been in an auto accident and is experiencing neck pain or other symptoms of whiplash, it’s essential to seek out a healthcare provider who offers weight-bearing open MRI’s and DMX.

Remember, whiplash is a serious injury that can cause longterm, permanent damage. But with the help of modern medical technology, we can improve diagnosis and treatment outcomes. So let’s spread the word and encourage everyone to learn more about weight-bearing open MRI’s and DMX. Together, we can make a difference and help more people avoid the permanent impairment caused by whiplash.

301-805-6805 page 2 | Your HEALTH Magazine
Call us today 1-866-674-2727 or 301-220-3003
DMX – available exclusively at our Greenbelt location!
treatment outcomes. WASHINGTONOPENMRI.COM Greenbelt • Oxon Hill Chevy Chase • Clinton Rockville • Owings Mills
• With DMX, you can get a more complete and accurate diagnosis, leading to better
Maryland Edition | page 3 www.YourHEALTHMagazine.net
301-805-6805 page 4 | Your HEALTH Magazine 703 Giddings Avenue • West Annapolis* 410-263-2571 2002 Medical Parkway, Suite 615 • Annapolis 410-573-2822 Visit us at www.mcnellyoptical.com for online specials Providing the Finest Eyewear & Personalized Service Since 1929 Superior Quality • Outstanding Selection EMERGENCY REPAIRS Lab on Premises* ZEISS PENTAX SHAMIR INDO VARILUX HOYA CONVENIENT LOCATIONS: OPTICIANS CERTIFIED OPTICIANS Healthy Teeth & Gums for the WholeFamily! Dr. Craig Smith is committed to health through dentistry, ensuring you have optimal oral health which contributes to your overall health and well-being. Quality service, advanced technology and a passionate commitment to education means patients receive the best that dentistry has to offer. Whitening Special ONLY $339 A $500 Value. Limited time offer. New Patient Special ONLY $139 • Examination • X-Rays • Cleaning* • Consultation A $265 Value. Limited time offer. *Unless gum disease is present. 301-446-1784 7201 Hanover Parkway, Suite A, Greenbelt, MD Dr. Craig A. Smith • Family Dentistry

In the United States this year, 700,000 people and one out of every four post-menopausal women will suffer from a painful bone injury called a vertebral compression fracture. This common type of bone injury results in the collapse of a vertebra, a type of bone that makes up the spine. Although there is a safe, effective, and minimally invasive therapy available, two-thirds of these fractures fail to be diagnosed. This is unfortunate, as missing this condition can result in under-treated pain, limitations on daily activities, breathing problems, and dependence on dangerous pain medications.

Bone density in both women and men starts to decrease after age forty, but the loss of density greatly accel erates after women enter menopause and can progress to osteoporosis, a disease characterized by very low bone density. Although most compres sion fractures occur in patients with osteoporosis, one-third of vertebral compression fractures occur in pa tients without osteoporosis.

If a fracture occurs suddenly, patients can experience sudden severe back pain that often wraps around the sides and is felt in the chest. Because of this, it is sometimes confused with diseases of the heart or the lungs. The pain is often worse when standing, sitting-up, or walking around. If very severe, the patient can have trouble breathing.

Kyphoplasty Treatment For Spinal Compression Fractures

kyphoplasty that can quickly, safely, and effectively treat a patient’s pain without the long-term use of opioids and other pain medications.

If an acute compression fracture is present on an MRI, a patient should be referred to a pain management physician or another physician who performs kyphoplasty. This procedure can often be performed in a doctor’s office, preventing the need for an overnight stay in a hospital. On the day of the procedure, the patient is given a medicine to relax and then is asked to lie on their belly. An x-ray machine

is then used to locate the fractured bone and a narrow tube is placed into it through a very small opening in the skin. A small balloon is inflated within the bone to create a small space and the fracture is then filled with bone cement. The entire procedure can take as little as 45 minutes. Many patients feel immediate pain relief and are able to return to their daily lives the day after the procedure. However, some patients may take a week or longer to feel better.

Kyphoplasty most successfully reduces a patient’s pain within two

Patients who have symptoms of a fracture should see their doctor for evaluation. After an examination that suggests a vertebral compression fracture, they will often be sent for an MRI. This imaging shows the level of the fracture and also reveals whether it is old or new. Some doctors treat compression fractures with pain medicine, physical therapy, and bracing. However, many cases continue to cause severe pain and long-lasting health effects unless treated more definitively. Unfortunately, many patients and physicians are not aware that there is a minimally invasive procedure called

weeks following a fracture. Unfortunately, if the window of opportunity is passed, the pain can become more challenging to treat and further complications can occur.

If you think you or someone you care about is experiencing symptoms of a vertebral compression fracture, be reassured that there are safe, effective, and minimally invasive therapies available. Schedule an initial pain evaluation at Georgetown Pain Management to determine if you’re eligible for kyphoplasty or other pain therapies. Most insurances are accepted and new patient evaluations are currently being scheduled. As awareness of this condition increases and more patients are offered kyphoplasty as a minimally-invasive therapy, it is hopeful that fewer patients will have to live with the severe pain that results from vertebral compression fractures and can return to their full lives more quickly and comfortably than before.

PAIN

Maryland Edition | page 5 www.YourHEALTHMagazine.net
Netsere Tesfayohannes, MD, ABA, ABAP Medical Director
Cervical Selective Nerve Root Block • Cervical Facet • Dekompressor Discectomy Discography • Facet Joint Injection • Facet Joint Syndrome • Herniated Discs • Sciatica CONVENIENT LOCATIONS IN GREENBELT & WASHINGTON DC 7500 Greenway Center Drive, Suite 940, Greenbelt, MD 20770 2021 K Street, NW, Suite 605, Washington, DC 20037 Surgery Center: 7300 Hanover Drive, Suite 204, Greenbelt, MD 20770 For a consultation or to refer a patient please call 301.718.1082 gtpain.com At Georgetown Pain Management, we distinguish ourselves by offering same-week evaluations, and emergency service within 1-4 days of initial inquiry. We pride ourselves by providing cutting-edge university-quality service in an effective, private setting.
Do Something About Your

In This Edition…

The articles below are provided by local health professionals for the benefit of the public. Please contact them for advice and services.

2 | Revolutionizing Whiplash Diagnosis | Submitted By Washington Open MRI, Inc. 5 | Kyphoplasty: Treatment For Spinal Compression Fractures | By Netsere Tesfayohannes, MD, ABA, ABAP

7 | Health and Energy Inside and Out | By Hema Sundaram, MA, MD, FAAD

8 | Why The Tooth Fairy Is Very Fun – and Important! | By Elizabeth Shin, DDS

| The Revolution of Robotic Surgery | By Matthew Skancke, MD & Rami Makhoul, MD

| New Solutions For Dentures and Dental Implants | By Karl A. Smith, DDS, MS 12 | Your One-Stop Solution For a Healthy Smile | Submitted By Total Dental Care 13 | Should Burn Wounds Be Covered? | Submitted By Samakow Law

| Appliances Are In Now: How To Manage TMJ Disorder | By Jeffrey L. Brown, DDS

| Simplify Your Life and Health: Try a Medical One Stop Shop! | By Anthony T. Hardnett, DC

| What Is Cryotherapy? And How Can It Benefit You? | By Anthony T. Hardnett, DC 16 | All-On-Four Dental Implants | Submitted By Sivakumar Sreenivasan, DMD, MDS

17 | New Tech In the Dental Office | By Judy Yu, DMD, MBA 18 | The Promise Of Spravato: Revolutionizing Depression Treatment | By Venera R. Miller, MD, FAPA, FASAM 20 | Forefoot Surgery | By Howard Horowitz, DPM

21 | The Healing Potential Of Reiki | By Janine Horne, MSN-Ed, RN 22 | Bariatric Surgery and Sleep Apnea | By Etwar McBean, MD, FACS 22 | Cannabis and Fibromyalgia | By Sharron Sample, CEO

24 | Painful Sex: A Real Mid-Life Crisis | Submitted By New Day Vitality Hormone Center

24 | Fibromyalgia: How Do You Treat It? | By Alan Weiss, MD

26 | Chlorine-Free Steam Sauna: Reduces Pain & Inflammation | By gLou Stevens, Ret. RN, PEMF Expert

26 | Chiropractic Treatment and Pain | By Alicia Kovach, DC

28 | Fun and Effective Ways To Teach Kids About Cavities and Oral Hygiene | By Dawn L. Tyler, DDS

29 | The Benefits of Dental Sleep Appliances Over CPAP | By Larry Bryant, DDS

30-40 | Featured Pain Management & Rehab + Technology

40 | Are You Tired Of Being Held Back By Your Pain? | By Sarah A. Merritt, MD

42 | Are You In Pain? You Are Not Alone | Submitted By Kensington Pharmacy

44 | Remedies For Pain | By Linda Penkala, Author, LMT, Speaker

44 | LGBTQ+ Parenting Challenges | Submitted By Empowered Connections, LLC

46 | Can You Benefit From Braces? | By Jacqueline Brown Bryant, DDS, MS, PC

46 | The Impact Of Mental Illness | By Joyce Abramson, RNMS

48 | Chinese Acupuncture For Shoulder Pain | By Quansheng Lu, CMD, PhD, LAc

48 | Fire Cupping For Natural Pain Relief | By Ming Xu, LAc, DAOM

52 | COPD: When Is It Time To Choose Hospice Care? | By Monica Ferebee, RN, BSN, MSED, CHPN

52 | Empowering Your Fertility Journey | By Yemi Adesanya-Famuyiwa, MD

53 | Epidural Steroid Injections For Low Back Pain and Sciatica | By Dr. Anver Khan

54 | Play Therapy and Child Development | By Sonia Hinds

54 | Let’s Get Physical: Making Physical Activity a Part Of Your Family Life | By Janet V. Johnson, MD

56 | The Doctors You Generally See When Injured | By James A. Cleaver, Esq.

56 | Cerec Dental Technology | Submitted by E. Taylor Meiser, DDS

57 | Hammertoes: Pain Of the Small Toes | By Ademuyiwa Adetunji, DPM

57 | The Ultimate Healing: Restoring Body, Mind & Spirit | By Sabrina Milanovich

58 | Sciatica Treatment Options | By Madhavi Chada, MD

58 | Lifestyle Changes To Lower Cholesterol | By Thomas K. Lo, DC

66 | Newborn Physicals: In the Comfort Of Your Home | By Lisa Boynes Sindass, MD

Your Health Magazine is on a mission. There are far too many people, insured or not, who do not go to the doctor when they should, and in millions of cases, don’t know who they should go to, or why.

People are encouraged to buy a new house, car, cell phone or big screen TV, and those companies make themselves very visible and their products easily attainable.

Information about, and from, local healthcare providers is not easy to find, and many times those services are difficult to access.

Information and encouragement always lowers fear and trepidation about anything, and this is especially true in healthcare. While general information is available on web-sites, specific information from local providers is almost impossible for people to find. This is one of the key reasons chronic and episodic conditions are not cared for. It is our mission to:

Make A Difference By Empowering and Encouraging People To Live Healthier By Going To the Doctor When They Should.

There is a lot of evidence that the health professionals who participate in Your Health Magazine have helped many people over the years. We at Your Health Magazine salute you!

If you would like to find out how you can participate in one of our upcoming editions, please contact the office nearest you. SERVING MARYLAND & VIRGINIA Since 1990

G. Scott Hunter, Editor-in-Chief

MARYLAND & WASHINGTON, DC OFFICE One Town Center 4201 Northview Drive, Suite 102 Bowie, MD 20716 Office (301) 805-6805 • Fax (301) 805-6808 info@yourhealthmagazine.net

VIRGINIA OFFICE Office (301) 805-6805 production@yourhealthmagazine.net

© Your Health Magazine, 2024. The magazine and all of its contents are protected by copyright. For permission to reproduce any materials in this magazine, contact publish@yourhealthmagazine.net

EDITOR-IN-CHIEF

301-805-6805 page 6 | Your HEALTH Magazine
15
10
11
14
15
SALES & MARKETING CONSULTANT Mili Parra MANAGING EDITOR Heather L. Mahoney PRODUCTION & DESIGN ADMIN ASSISTANT Alison Doner – MD Articles and information about health professionals is available at www.YourHealthMagazine.net Meet Your Local Health
Biographical profiles to help people learn more about their local health professionals. In the next edition of Your Health Magazine... Your Health Magazine is here to Help People Find the Healthcare They Need! Information from local doctors lowers the barriers to getting better healthcare and living healthier... It Makes a Difference! From : : : YourHEALTH Magazine Design Shop, Heather L. Mahoney date: : : : To: : : : : Fax # : : : For : : : : Month : : Due Date : Any changes to this advertisement must be noted and faxed to YourHEALTH at (301) 805-6808 on or before the due date, otherwise the ad will be printed as shown below. AD PROOF YOUR APPROVAL IS REQUIRED. Please check the appropriate box, sign and fax back to YourHEALTH. ____ Ad okay as is ____ Ad okay with changes indicated ____ Please call to discuss ad design Customer/Authorized Signature (REQUIRED)_______________________________________________Date_______________ Please proof your ad. Check for correct addresses, phone #’s and spelling of all names. Empowering and Encouraging People To Live Healthier Makes a Difference! (301) 805-6805 • fax (301) 805-6808 VASCULAR SURGERY Jeffery Dormu, DO • Triple Fellowship Trained in General, Vascular/ Endovascular and Cardiothoracic Surgery • Board Certified in Vascular and General Surgery Degrees, Training and Certifications: Dr. Dormu is triple Fellowship trained in General, Vascular and Cardiothoracic Surgery. He is Board Certified in both Vascular and General Surgery. He received his medical degree from the New York College of Osteopathic Medicine and served his internship at St. John’s Hospital in Rockway, NY and residency at St. Barnabas Regional Trauma Center in Bronx, NY. Practice Information: Dr. Dormu is the Managing Provider of the Minimally Invasive Vascular Centers also known as MIVC. At MIVC we are committed to addressing the vascular devastation that is rampant in our community. Dr. Dormu has performed over 2,200 Vascular/Endovascular surgeries in the past year including, Carotid Endarterectomies, Abdominal Aortic Aneurysm Repairs, Arteriograms, Bypass of blocked arteries, varicose vein removal and more. Practice Locations: Minimally Invasive Vascular Centers 8730 Cherry Lane, Suite 10, Laurel, MD 20707 8667 Georgia Avenue, Silver Spring, MD 20910 1496 Reisterstown Road, Suite 220, Baltimore, MD 2120 Phone: 301-497-1590 Toll Free: 855-803-MIVC (6482) www.MinimallyInvasiveVascularCenters.com If you are a health professional who would like to be included in this special issue, contact us today: 301-805-6805 • info@yourhealthmagazine.net Full Editions Now Available Online www.YourHealthMagazine.net
Professionals

Health and Energy Inside and Out Five Keys To Finding the Right Doctor

This year, as we look forward to summer activities, looking energetic and youthful can be a priority. Many men and women are choosing scar-free, non-surgical methods to keep their personal and professional edge.

Today’s non-invasive technology can rejuvenate you dramatically, yet subtly. You can look completely natural, without scarring and be able to return to normal activities, while others will be unaware that you’ve had anything done unless you choose to tell them.

Here are five keys to help you choose the right doctor for your summer events and beyond:

Credentials

The American Board of Medical Specialties certifies doctors in specialties based on their training, and recognizes only dermatologists, plastic surgeons, facial plastic surgeons, and oculoplastic surgeons as the Core Four aesthetic specialists with appropriate

qualifications and expertise to be performing cosmetic procedures. Always ask your doctor if they are board certified - and, if so, in what specialty, so that you can be sure of who you are trusting your face or body to.

Select an Expert

When practically everyone who performs cosmetic procedures states that they’re an expert, how can we find out who really is? Expert dermatologists and plastic surgeons have extensive experience and qualifications. Ask if your doctor is invited to teach as a professor by universities, and at dermatology and plastic surgery academy conferences. You can also ask whether they serve as a principal investigator for FDA clinical trials and other research that brings the newest cosmetic surgery technologies to our country. You can put their name and PUBMED into a Google Search to find out whether they are publishing scientific papers in high-level dermatology and plastic surgery journals. Expert clinics are typically well-equipped with the latest equipment and offer many advanced techniques, not just one or two options.

Look For Choices

True cosmetic surgery specialists offer many different treatment options, so that your action plan can be customized to ad -

Studies

Removal

At the offices of DR. HEMA SUNDARAM, MA, MD, FAAD

Board Certified Dermatologist

Honorary Senior Lecturer in Musculoskeletal and Dermatological Sciences, School of Biological Sciences, University of Manchester, United Kingdom

** Summer Makeover Packages ** Call 301-984-3376 or 703-641-9666

dress your own unique skin type, facial structure, and pattern of aging. Depending on your needs, your cosmetic surgeon should be able to offer you a wide range of possible plans and solutions, and give you clear reasons for your recommended action plan.

Look For the Latest Technology and Techniques

New technologies should be used by a cosmetic surgeon who understands skin of all types, ages, different genders, ethnicities and cultures. This is the key to safely and effectively helping women and men at any age and from all backgrounds.

What About Social Media?

Social media can be useful to find a dermatologist or plastic surgeon whose work you like. However, it’s not a substitute for proper qualifications and training. Look carefully at what

content is being posted – is it just before and after results, or is there also good educational information and indications that your doctor is a scientist, teacher and leader in the field? Are the results standardized, or does the “after” photo have make-up, hair styling or filters that the “before” photo doesn’t have? If the photos are cropped too much, you cannot see the facial expressions to tell if the results are real. For instance, if someone smiles in the “after” photo but not in the “before”, the crow’s feet around their eyes can seem to magically disappear! If you follow these five key steps, you can select the right doctor to balance how you look with how you feel and project youth, energy, and vitality at any age – not only for the summer, but for a whole lifetime.

NOW ENROLLING FOR STUDIES OF LIP VOLUMIZATION, ACNE AND SKIN TIGHTENING

At the offices of DR. HEMA SUNDARAM, MA, MD, FAAD

Board Certified Dermatologist

Honorary Senior Lecturer in Musculoskeletal and Dermatological Sciences, School of Biological Sciences, University of Manchester, United Kingdom

Email our clinic at dermdc@gmail.com or call Fairfax, VA 703-641-9666 / Rockville, MD 301-984-3376

Follow us on Instagram: @twicebornbeauty & @drhemasundaram

At the offices of DR. HEMA SUNDARAM, MA, MD, FAAD

Board Certified Dermatologist

Honorary Senior Lecturer in Musculoskeletal and Dermatological Sciences, School of Biological Sciences, University of Manchester, United Kingdom

dermdc@gmail.com with subject line “STUDIES”.

Interest-Free Financing Available

Follow us on Instagram: @twicebornbeauty & @drhemasundaram

Financing Available

Maryland Edition | page 7 www.YourHEALTHMagazine.net
Now enrolling for studies & evaluations of Acne, Lip Volumization, Exosomes and Other Treatments. Space is Limited. Email dermdc@gmail.com NOW for details with subject line STUDIES AND EVALUATIONS ** Summer Makeover Packages ** call Fairfax,
NEW STUDIES OF ACNE, LIP VOLUMIZATION, EXOSOMES, AND OTHER TREATMENTS
VA 703-641-9666 or Rockville, MD 301-984-3376 Interest-Free
Now
Enrolling for
& Evaluations of Acne, Skin Tightening and Fat
interested
volunteer
any of these studies,
Rockville,
email us
If you are in good health and
to
for
call
MD 301-984-3376/ Fairfax, VA 703-641-9666 or
at

Why The Tooth Fairy Is Very Fun – and Important!

The tooth fairy is a fun and important figure for children. She represents a key stage in a child’s journey into the world of oral health and hygiene. By leaving a small gift (usually money) under a child’s pillow after they lose a tooth, the tooth fairy encourages

children to take care of their teeth and to look forward to future dental visits.

What Is The Tooth Fairy and What Does She Do?

The tooth fairy is a mythical creature who is said to leave gifts under children’s pillows in exchange for their lost teeth. It is believed that she originated from Europe, where she was known as la petite souris (the little mouse). The tradi-

tion of the tooth fairy is thought to have started in the early 19th century, and it has since become a widely accepted part of childhood folklore in many countries around the world.

The Tooth Fairy performs some very fun and useful functions, such as:

• Collecting baby teeth from under a child’s pillow

• Leaving children small gifts in

Leading The Way In Pediatric Dentistry!

We provide expert pediatric dentistry to help your child improve and maintain oral health and hygiene, repair and address problematic teeth, and treat teeth, tongue and gum issues that require immediate attention. Partner with our Pediatric Dentist in Bethesda and Chevy Chase to help your child achieve lifelong oral health.

Throughout life, good oral health has a very positive impact on your child’s general health, self-confidence, and discipline. We believe early positive experiences with oral health and hygiene – at the dentist and at home – set the stage for a life filled with good health, love, and success.

exchange for lost teeth

• Helping children to think about their teeth

• Providing parents with an opportunity to talk with their children about healthy teeth and oral hygiene.

• Supplying a very fun topic for parents to discuss with their children as they anticipate the Tooth Fairy’s visit.

• Reminding parents to book an appointment with their child’s pediatric dentist for a checkup

• Giving children an exciting story to tell their pediatric dentist

The tooth fairy is also said to bring good luck to children! What’s more, she is also said to bring happiness and joy into children’s lives, and the lives of the children’s parents as well.

Why

Is The Tooth Fairy Important For Children?

The tooth fairy is important for children because she helps them learn about oral health and hygiene. By leaving a small gift under a child’s pillow after they lose a tooth, the tooth fairy encourages children to focus on their teeth. This is a great opportunity / teachable moment for parents to discuss oral health and hygiene with their children and help them look forward to their dental next visit. Most importantly, the Tooth Fairy and the various traditions that parents create surrounding her visits are super fun for everyone.

Does The Tooth Fairly Leave Gifts Other Than Money?

The tooth fairy leaves a variety of things under the pillow, depending on what she decides to give the child. Most commonly, she leaves money, but she has also been known to leave small safe presents, including new toothbrushes, dental floss, children’s books about the tooth fairy and visiting the pediatric dentist, and other fun stuff like that. Fortunately, the Tooth Fairy is very creative and always comes up with excellent gift ideas that she knows each child will love.

Can the Tooth Fairy Get Children Excited About Visiting the Dentist?

A visit from the Tooth Fairy is an excellent opportunity to get your child excited about visiting the dentist! You can explain to your child that their pediatric dentist loves the Tooth Fairy! Remember, fun is the secret ingredient to your child’s lifelong oral health, and many priceless memories that you’ll forever share with them.

301-805-6805 page 8 | Your HEALTH Magazine
4825 Bethesda Avenue, Suite #220, Bethesda, MD 20814 301-941-7374 smile@bccpediatricdentistry.com BCCPediatricDentistry.com
Elizabeth Shin DDS
Pediatric Partial Denture to Replace Missing Teeth

• Natural, safe, laser light energy is pulsed and absorbed by the subcutaneous tissue.

• Supercharges the body’s metabolism through ATP synthesis to burn fat as energy.

• Waste products are expelled from the body via sweat, urine and respiratory exhaustion.

• The body continues to burn fat for up to 4 hours after treatment.

• Collagen and elastin production is increased within the skin layers to rejuvenate and repair skin cells addressing cellulite, skin laxity and stretch-marks.

Maryland Edition | page 9 www.YourHEALTHMagazine.net Charlotte Hall – 29770 Three Notch Road – Ph: 301-884-3423 La Plata – 101 Centennial Street, Suite A – Ph: 301-934-9762 Monday-Thursday 10AM-7PM, Friday 9:30AM-5PM www.DocWinters.com
The Only Non-invasive Laser Device With FDA Approved, IRB, and Clinically Proven Results For: Fat Reduction, Aesthetics, Cellulite Elimination, Weight Reduction, and Inch Loss.

Colorectal surgery has entered a new era of advancement, thanks to the remarkable innovation of robotic surgery. This cutting-edge technology has not only reduced the risk of complications but also revolutionized the recovery process

The Revolution of Robotic Surgery In Colorectal Procedures

Smaller Incisions,

for patients. In this article, we will explore how robotic surgery is transforming the landscape of colorectal procedures, making them safer and more efficient.

The Robotic Revolution

Robotic surgery has made significant strides since its inception in the

Faster Recovery

late 1990s when the first procedure was performed in the United States. Today, it has become a staple in the field of surgery, with around 400,000 robotic-assisted procedures conducted annually. As multi-armed robotic systems gain popularity, the applications for this technology continue to expand.

Feel Confident Entrusting Your Health In Our Hands

Minimal Incisions, Maximum Benefits

One of the key advantages of robotic colorectal surgery is the minimal invasiveness it offers. Patients typically require only three or four small incisions, each averaging just two centimeters in length. This not only reduces the risk of infection but also accelerates the healing process, leaving little to no scarring behind.

Reduced Risk Of Complications

Another remarkable benefit of robotic surgery is the significantly lower rate of blood transfusions during the procedure compared to traditional open surgery. Patients who undergo robotic colorectal surgery experience nearly zero percent transfusion rates, contributing to a safer surgical experience.

Swift Recovery

The speed of recovery after a colorectal procedure can be a critical factor in a patient’s overall well-being. While recovery timelines can vary depending on the specific procedure and individual health, robotic surgery consistently leads to shorter hospital stays compared to open surgery. Patients typically experience less pain and a quicker return to their normal diet and bowel function.

Personalized Care

It’s important to note that each patient’s experience with robotic colorectal surgery is unique. Factors such as the type of procedure and individual health can influence the recovery process. However, the overall trend points toward a smoother, faster, and less painful recuperation period.

Looking Ahead

As technology continues to advance, the field of robotic surgery is expected to evolve even further. These innovations will likely improve patient outcomes and expand the range of conditions that can be treated with robotic assistance.

Robotic surgery has ushered in a new era of colorectal procedures, offering patients minimally invasive options that reduce the risk of complications and expedite recovery. With smaller incisions, lower transfusion rates, and shorter hospital stays, robotic colorectal surgery is transforming healthcare, ensuring a brighter and healthier future for those in need of these life-changing procedures.

301-805-6805 page 10 | Your HEALTH Magazine
Shady Grove Office 15001 Shady Grove Road Suite #100, Rockville, MD 20850 240-702-0122 Bethesda Office 10215 Fernwood Road Suite #102, Bethesda, MD 20817 240-858-6764 MCRSDocs.com Our practice has been providing quality care to the Washington Metro community for over 25 years. Our physicians are board-certified in colon and rectal surgery and have specialty training in the diagnosis and treatment of colon and rectal diseases and disorders. Our mission is to provide you with exceptional service in a friendly and professional environment.

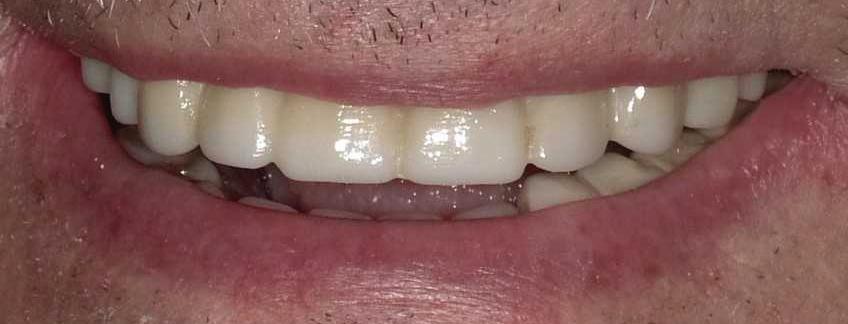
New Solutions For Dentures and Dental Implants

Dentures are a good replacement option for patients who are missing all of their teeth, but only if they fit well.

Why Are My Dentures Loose?

Impact on the bone by continuous hitting and pressure of a denture against the jaw every time you eat can make the bone underneath the denture go away. This causes the denture to become loose and slip. It may create the need for using paste or other means to hold the denture in place. Slipping dentures can make eating certain foods very difficult for patients. This happens most often with lower dentures.

How Can Dentures Fit Well For a Long Time?

Dental implants can be placed under the denture. Implants have offered the possibility of fully replacing teeth for over 30 years and are very safe and effective. When you make the denture stable by “snapping” it onto dental implants, you can provide a better level of comfort for the denture-wearer, and create new strength for eating the foods patients love.

Dentures are a good replacement option for patients who are missing all of their teeth, but only if they fit well.

Dental implants are very much like your natural teeth. They are quite easy to get used to, and they can reduce the amount of stress to the bone and jaw by helping provide an anchor for support. The implant acts as a natural root to help prevent additional bone deterioration and helps to deliver long lasting function.

Does Every Denture-Wearer Qualify?

This depends on the amount of bone loss that has already taken place. If the denture has been in place for many years and the ridge of bone under it is very thin, you may need to have a special scan done to decide if you are a candidate for the procedure. This scan will also look for any other defects that may be present to make sure you are healthy. Since implants are meant to last for a very long time, your health and wellness are important to the outcome.

How Long Does a Patient Have To Go Without Teeth?

Never. The denture is fitted to the implants, the same day the implants are placed. Typically, you are back to normal or better eating by day two or three.

Do Dental Implants Hurt?

Most patients have little to no dis-

comfort. The surgery is done in one day, typically in just a few hours. There are sedation options available for this procedure for those patients who want to relax through the procedure.

Is Treatment Expensive?

The cost of treatment varies depending on the number of implants, if a new denture needs to be made, if the patient desires sedation, or if

there needs to be more bone added to have a good result. Costs are variable and should be weighed against factors such as the education of the doctor, the results from other patient experiences, and the quality of the product you are receiving.

Discover the difference dental implants can make for you. Schedule an appointment today!

– Dental Implants To Restore Your Beautiful Smile

– Caring & Kind Dentist & Team

– State-of-the-Art Equipment

– Laser Periodontic Therapy

– Affordable Gum Treatment

– Insurance Accepted & Filed

– Ultra-Sterile Environment

– No Referral Needed

– Comfortable Sedation Dentistry

Initial

Our patients mean the world to us (and they love to refer to us as friends and family). My team works together to ensure your visit is enjoyable, and that your treatment is gentle and pain-free. We are deeply committed to help you prevent and treat periodontal (gum) disease, and to enhance your smile to improve your overall health.

Maryland Edition | page 11 www.YourHEALTHMagazine.net Meet Your Smile’s New Best Friend! Dr. Karl A. Smith, Periodontist A Dentist with Super Powers 601 Post Office Road, Suite #1-B, Waldorf, MD 301-638-4867 2500 N. Van Dorn Street, Suite #128, Alexandria, VA 703-894-4867 www.Dr.KarlSmith.com
$209 New Patient Special Includes
Mouth Digital Film, Consultation with
Smith (Reg. $428) New Patient appointments available daily!
Exam, Full
Dr.

Your One-Stop Solution For a Healthy Smile

Submitted By Total Dental Care

Maintaining optimal dental health is crucial for overall well-being, and finding a dental office that offers comprehensive care under one roof is a game-changer. Total Dental Care is a well-established dental practice that takes pride in providing detailed and comprehensive services in various specialties, ensuring patients receive topnotch care for their unique dental needs.

General Dental Services: Total Dental Care excels in offering a wide array of general dental services, including routine check-ups, cleanings, and preventive care. Our experienced team focuses on early detection and intervention to prevent dental issues from escalating.

Specialized Services: Whether you require orthodontic adjustments, periodontal treatments, Invisalign, dental implants, prosthodontics, oral

surgery, extractions, root canals and endodontic treatments, or restorative and cosmetic dentistry, Total Dental Care has you covered. Our specialists are experts in their respective fields, ensuring you receive tailored treatments for your specific dental concerns.

Cutting-Edge Technology: Total Dental Care stays at the forefront of dental technology, offering services such as digital intra-oral cameras, cone-beam CT scanners, and teeth-ina-day. Our committment to utilizing advanced techniques ensures effective and efficient treatments while minimizing complications.

Sedation Options: Understanding the anxiety some patients may feel, Total Dental Care offers laughing gas, oral sedation and IV general anesthesia options. Our goal is to create a comfortable and stress-free environment, catering to the individual needs of each patient. Whether you’re

Please see “Healthy Smile,” page 66

301-805-6805 page 12 | Your HEALTH Magazine General and Cosmetic Dentistry • Orthodontics • Implants Periodontics • Oral Surgery • Endodontics • Prosthodontics Children’s Dentistry • Sedation Dentistry 20680 Seneca Meadows Parkway, Suite #218, Germantown, MD 20876 www.TotalDentalCareMD.com WELCOME TO TOTAL DENTAL CARE! We provide all dental services under one roof. We look forward to having you as a patient and thank you for selecting us for your dental care needs. We focus on the needs of each patient to provide an EXCEPTIONAL patient experience in a relaxing, modern and caring environment. Your Family’s One Stop Dental Shop For convenient one stop dentistry for you and your family, call today: 240-813-9111 Asha Narendra DDS General/Cosmetic Karthik Cherukuri DDS General Dentist S. Sreenivasan DMD, MDS Oral/Maxillofacial Bhavana Mistry DDS General Dentist Anil Manda DMD Endodontist Mary B. Alexander DDS, DMS Periodontist

Dentures & Denture Repairs

Maryland Edition | page 13 www.YourHEALTHMagazine.net
ThunderBird Dental Office affectionately known as the ThunderBird, has been providing dentures and denture repairs for over 40 years. Our dental lab is on our premises which allows us to deliver same day repairs and relines. We also perform extractions for immediate dentures. Our service is prompt and personalized and our price is right, so come on in! 301.843.6171 thunderbirddentaloffice.com 6 Post Office Road Suite #104, Waldorf, MD 20602 Monday-Thursday: 8:00 am-2:30 pm

Appliances Are In Now: How To Manage TMJ Disorder

In this article we will discuss various aspects of how you can manage your TMJ disorder. First and foremost is an understanding of the situation –this means proper diagnosis which will likely include a CBCT X-Ray and an MRI of the jaw joints to check

the status of the articular discs. This is critical when it comes to determining a course of treatment. If you end up wearing various appliances for your treatment, it also helps to manage the discomfort that has been with you all this time until the appliances can begin to do their work.

One of the forefront therapies that

help heal damaged joints and muscles is called laser with a TMJ massage. This treatment involves a therapeutic laser that patients often call ‘delicious’ and comforting while the muscles of the head and neck receive a massage treatment. Soon enough, our office will also offerthe Er:YAG and the Nd:YAG lasers that will offer an even deeper level of treatment that helps to release

We Are NOT Your Typical Dental Office

the fascial tissue even further. The fascial tissue is like a layer of plastic wrap that goes all over the body and is oftentimes tight and irritating to the person. As the fascia releases, the displaced TMJ disc has a better chance of going back into proper position.

Using a body worker – either a physical therapist or an osteopath – are other avenues to help manage TMD pain. Both options are quite effective in many cases. What both do is a ‘hands on’ the body approach to help re-align the cranium and spinal column right on down to the sacrum. This re-alignment of the majority of the body allows the jaw joints discs a better chance to get back into place. Many patients try both the D.O. (osteopath) and the P.T. (physical therapist) to see which one is more effective for them and then enter a regular schedule of treatments that of weekly visits at first and then longer in between visits as improvement is achieved.

Dr. Jeffrey Brown has limited his practice to focus only on TMJ Disorders, Craniofacial Pain Management and Sleep Apnea. By fixing slipped discs in the jaw joints, Dr. Brown can significantly reduce the pain patients experience in the head/neck region and other symptoms associated with jaw joint problems. Sleep & TMJ Therapy may be able to improve the quality of life for you or a loved one – we encourage you to contact us with any questions or concerns.

“Dr. Brown and his staff are absolutely wonderful. I was diagnosed with Dystonia. I could not turn my head and had a ton of pain. My doctors offered no help and no advice besides Meds and Botox. Since having the appliance I have NO pain and I can turn my head. I would highly recommend them to anyone. I feel Dr. Brown and his staff really care about their patients and helping them to get better. They do not just numb the symptoms but fix the problem. Thank you from the bottom of my heart. I feel like the old me again!”

- D. Thomas

“My daughter has been treated by Dr. Stack and Dr. Brown for the last 2 1/2 years, and we are very fortunate to have found them. Prior to that she was being treated by a neurologist at a Children’s hospital. She was on medications for tics and associated muscle pain, OCD/repetitive thoughts, sleeplessness and more (all possibly associated with Tourettes). Drs. Stack and Brown installed spacers to alleviate pressure on nerve bundles in the jaw, and subsequently braces to complete the process. Her symptoms have diminished significantly. She is off medication, her tics have all but disappeared, she can concentrate better in school, and she is once again cheerful and relaxed.”

One of the most obvious adjuncts to TMD treatment is of course diet and exercise. Let’s start with exercise. For most people, it is a good idea to at least walk every day. Start off with a half mile or so in the beginning and then work up to several miles per day. Walking is one of the best medicines that really helps to heal the body. You get your blood flowing and the muscles moving, which is what our bodies were designed to do. There really should not be any heavy lifting or over exertion during treatment. This will cause a strain on the area we are trying to fix. Diet is another issue. A person with TMD should eat softer foods to avoid pressure on the jaw joints. Obviously, the hard and crunchy foods should be avoided. Once the TM joints are doing well, normal eating should be possible.

301-805-6805 page 14 | Your HEALTH Magazine
• Certified Fellow of the American Academy of Craniofacial Pain • Over 30 Years Experience • Graduate of Georgetown School of Dentistry (1986) Schedule Your Appointment Today: 703-821-1103 2841 Hartland Road, Suite #301, Falls Church, VA 22043 • www.sleepandtmjtherapy.com • Jaw
and
• Migraines • Craniofacial Pain • Sleep
• Orthodontics We Can Help With:
Jeffrey L. Brown, DDS
Pain, Clicking or Popping
Head, Neck
Shoulder Pain
Apnea
Jeffrey L. Brown, DDS

Simplify Your Life and Health

Everything seems to be getting more convenient these days, from oneclick shopping on Amazon, to being able to watch the latest movies from your couch with the push of a button. Everything sure is convenient…except for when it comes to going to the doctor. And going to the specialist. And going back to your primary care doctor for a follow up. And on and on and on.

If every other business is trying to make things more convenient for consumers, isn’t it time for healthcare to catch up?

Good news, local medical onestop shops can make quality care accessible and convenient for everybody.

Whether you’re looking for a new physician for chronic condition management, or looking to lose a few (or more) pounds for the summer, there are many benefits to having all of your medical care under one roof.

For starters, it’s convenient for you. You don’t have to worry about driving all over town to see different specialists or make multiple appointments. One-stop shops often have all the care you need right under one roof.

Another reason that a one-stopshop style of healthcare office is so attractive to patients is having a provider that is familiar with your entire health history. When you visit a one-stop shop healthcare center, you’re gaining a partner in your health. This also makes it easier for your wellness team to customize wellness and treatment plans for you.

One-Stop Medical Care For Pain: Debilitating pain can make everyday living hard to endure. Access to chiropractic treatment, physical therapy, massage therapy, acupuncture, natural pain management, and medical

pain relief for musculoskeletal conditions, injury rehabilitation and chronic pain all under one roof certainly can make one’s life easier. The most advanced chiropractic and physical therapy treatments from a team of medical providers at a one-stop shop practice seeks to address your symptoms and develop custom treatment plans that ensure long-term solutions for pain relief and various ailments.

Eliminating the need to run across town to various appointments is not only convenient, it’s the difference between patients in pain complying with recommended medical treatments, or not.

Management Of Chronic Conditions: Chronic conditions are challenging and can be difficult to manage. When left untreated or properly managed, it can lead to costly and painful complications. Another attractive benefit is when offices combine conventional medical approaches with other integrative healing modalities under one roof they can better help patients be proactive in their health, especially when it comes to managing their chronic conditions, such as diabetes.

Preventive Care: Unfortunately, doctors see it all the time; many patients “feel” fine and only see doctors when they’re visibly ill. However, preventive care is crucial, and it is so important to us. When you go to a onestop style healthcare office, your health team will work with you through education and personalized wellness plans to ensure you stay healthy year-round.

Wellness: A variety of wellness initiatives are available that you may not even know are options to helping you live healthier and feel better on a daily basis, ranging from IV supplemental therapy to bio-identical hormone pellets, to medical weight loss, to massage services. One-stop medical shops have all the treatments available so you look and feel your best every day.

What Is Cryotherapy?

Cryotherapy is the use of cold temperatures to promote the body’s natural healing and wellness. Its use dates back to ancient civilizations and has long been proven to be an effective method for improving recovery and health. Top athletes across the country have been using cryotherapy for years to recover from injuries quicker, improve performance, decrease inflammation, and feel younger. Now it’s available for everyone.

A full range of cryotherapy treatments are available from local cryotherapy and cryofacials to whole body cryotherapy, which leaves your entire body feeling refreshed and rejuvenated. We’ve compiled some of the benefits of this effective and fast treatment below.

Accelerate Recovery and Enhance Performance

One of the primary and long-held benefits of cryotherapy is the ability to accelerate recovery following strenuous activity and boost physical performance.

During the cold therapy treatment, circulation increases throughout your body, delivering more oxygen and helping remove toxins that have built up in your muscles. Muscles recover up to 50% faster, pain is reduced, and performance gains are multiplied.

Boost Metabolism

Cryotherapy’s weight loss benefits are twofold, acting both during the treatment and in the days and weeks following treatment. During the cryotherapy session, your body can burn hundreds of calories in a matter of minutes, boosting your metabolism to increase your body temperature.

Following the session, your boosted metabolism will keep working for you, helping you burn calories faster and lose weight more effectively.

Feel Rejuvenated

During the cryotherapy treatment, endorphins and adrenaline are released to help your body cope with the extreme cold temperatures. Those endorphins can increase energy levels and help combat anxiety and depression. In a one-session treatment, you’ll likely leave feeling euphoric and have a renewed sense of energy.

Natural Healing

Cryotherapy can be used to combat conditions that involve chronic pain, such as arthritis and autoimmune disorders. The cryotherapy treatment helps increase circulation and combat the symptoms of these conditions, leading to pain relief and improved overall wellness.

Just three minutes of temperatures as low as -250 degrees Fahrenheit reduces inflammation and pain, releases endorphins, and increases collagen production. Extreme cold activates the body’s natural healing mechanisms, helping to reduce reliance on NSAIDs or medications.

Stimulate Collagen

Cryotherapy works to tighten your skin and rejuvenate your appearance for a more youthful, radiant glow. Cryotherapy stimulates collagen production, resulting in anti-aging skin rejuvenation such as skin tightening, a decrease in wrinkles, reduction of cellulite, and improvement of blemishes and scars. Cryotherapy speeds up healing and can be used to treat skin conditions such as psoriasis and dermatitis.

With all these benefits and more, it’s easy to see why athletes and nonathletes alike are turning to cryotherapy for improved wellness and health.

Maryland Edition | page 15 www.YourHEALTHMagazine.net
Try a Medical One Stop Shop! And How Can It Benefit You? MILLERSVILLE 410-729-2200 LANHAM 301-577-6556 REPAIR • RECOVER • REJUVENATE MILLERSVILLE 410-729-2200 EIHMD.COM MDCRYO.COM Learn more about Effective Integrative Healthcare + Maryland Cryotherapy on page 35

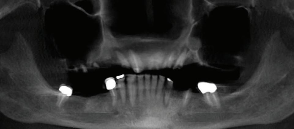
Can just four implants replace all of the teeth on the top or the bottom of your mouth? Thanks to advances in dental implant technology, that answer is a resounding yes.

Tooth loss is extremely common among adults, especially as we age. Rather than living with the discomfort and hassles of dentures, many people are opting for what is called “all-onfour” dental implant restoration.

An implant is a small titanium screw

that fits inside your jawbone and replaces the root-part of a missing tooth. Minor surgery is required to insert the implants. Once the implant is in place, a crown is attached to give you a highly realisticlooking and functional prosthetic tooth. You do not need a dental implant for each and every one of your missing teeth. All you need is four precisely placed implants on the top of your mouth, and four on the bottom, to restore your full smile. That’s the beauty of the all-on-four. And because the implant is made of titanium, it has the unique ability to fuse to living bone and function as part of it. So eventually, the dental implant becomes part of the jawbone and serves as a strong, long-lasting foundation for your new teeth.

Besides ensuring that your implants are permanently fixed in place, this bone fusion has another important benefit: it prevents future bone loss in the jaw. This helps to maintain a more youthful facial structure – and better oral health. But perhaps the biggest

Please see “All-On-Four,” page 61

301-805-6805 page 16 | Your HEALTH Magazine All-On-4: Same Day Smiles CALL TODAY TO GET YOUR OLD SMILE BACK! 301.294.8700 Dental Implant Center of Rockville 77 South Washington Street, Suite #205 Rockville, MD 20850 • www.DrSreeni.com Courtesy 3D Planning For Implants When patients bring a 3D scan with them to or have one taken in the office. Appointment needs to be scheduled before June 15, 2024 Missing Teeth or Tired of Wearing Dentures? Thanks to advances in dental implant technology, just four implants can replace all of the teeth on the top or the bottom of your mouth. All-On-Four Dental Implants

New Tech In the Dental Office

The iTero Element 5D is a wandshaped digital scanner that features an intraoral camera. The wand can be moved around the inside of a patient’s mouth to essentially create five-dimensional impressions of your teeth. This makes your dentist’s job easier when treating you, but, what exactly does this mean for you?

This state-of-the-art diagnostic tool is used for a number of purposes, including finding cavities, to enhance Invisalign procedures, and to replace traditional dental impressions.

Finding Cavities Between Teeth

Cavities between teeth are often invisible to the naked eye, and dentists typically rely on bitewing X-rays to find them.

The iTero features an infrared camera that allows your dentist to identify cavities between teeth without an X-ray. So if your dentist has the iTero they can use traditional X-rays less frequently. As a result, patients can have a more comfortable experience, and exposure to radiation from X-ray technology is minimized.

Enhancing the Invisalign Procedure

The iTero can be used to simulate Invisalign treatment, allowing a patient to see what his or her smile would look like after treatment is completed.

Replacing

Traditional Dental Impressions

Reducing how often traditional dental impressions need to be taken is one of the most notable benefits of this new dental technology.

Please see “New Tech,” page 61

Maryland Edition | page 17 www.YourHEALTHMagazine.net Dr. Angel Wood Dr. Angel Wood is a Chinese Medicine Doctor who specializes in Integrative Natural Medicine that deals with gastroenterological disorders. She has created a line of products that helps to re-balance the intestinal flora, while assisting in supporting the immune system. Board Certified Natural Health Practitioner Licensed Acupuncturist, Certified Colon-hydro Therapist (Colonic), Ionic foot bath, Spiritual Wellness Better digestive health can help with many conditions, including: Allergies/Asthma • Headaches • Acne and Rashes Immune Health • Weight Loss Constipation/Diarrhea Re-Balance Your Eating • Aching Joints Food Allergies/Sensitivites Holistic Doctor Supervised Intestinal Support that helps heal the root of your gut discomfort. Eastern Medicine • Greenbelt, MD • 240-755-5925 Magnificent Body Personal Trainer • 240-423-4389 Natural Pain Relief • www.angelofcolonics.com Accepts Most Insurances as well as HSA (FSA) GOT GUT ISSUES? ABSORPTION, ENDOCRINE, GUT FLORA SUPPORT FORMULAS I offer colon hydrotherapy in my private medical practice. STOMACH/DIGESTION PROBLEMS? Are You Suffering With: Bloating? Colitis? Constipation? Crohns? Diarrhea? Gas? Heart Burn? IBS? Weight Issues? If you answered yes to any of the questions, call Dr. Angel today for help VIRTUAL MEDICINE TREATMENT PROTOCOL OVER THE PHONE SAY GOODBYE TO IMPOTENCE, AND SAY HELLO TO LASTING ERECTIONS! We approach Erectile Dysfunction from an all-natural perspective. We incorporate acupuncture with other state of the art energy support systems to help restore vitality in your life. Schedule with us today to get the natural support you need! Dental Care for Patients of All Ages We Look Forward to Meeting You • Children’s Dentistry
Cosmetic Dentistry
Crowns and Bridges
Dental Implants
Dentures
Extractions
General Dentistry
Invisalign
Periodontal Treatment
410-360-0440 | dentalfxmd.com 8667 Fort Smallwood Rd., Pasadena, MD 21122 Schedule an Exam Today! Dentistry by Dr. Judy Yu
Dental FX
• Tooth-Colored Fillings

Depression is a debilitating mental health condition affecting millions worldwide, with conventional treatments often proving insufficient for many individuals. In recent years, there has been growing excitement about a breakthrough treat-

The Promise Of Spravato Revolutionizing Depression Treatment

ment called Spravato, which offers a new ray of hope for those who have struggled with treatment-resistant depression.

Since the introduction of SPRAVATO into our services, we have observed a significant improvement in the depressive symptoms of our patients. With 20 years of experience in the medical field and expertise in general psychiatry and addiction, I have noticed impressive results and promising therapeutic potential with the introduction of Spravato treatment for patients who had struggled with treatment-resistant depression for years.

Understanding Spravato Spravato, also known as esketamine, is a nasal spray medication approved by the U.S. Food and Drug Administration (FDA) for adults with treatment-resistant depression. The medication is a derivative of ketamine, an anesthetic long used in medical settings. What sets Spravato apart is its rapid-acting nature, providing relief to patients who have not responded to traditional antidepressants.

Mechanism Of Action

Spravato operates on a different

mechanism compared to conventional antidepressants. It works by blocking the N-methyl-D-aspartate (NMDA) receptors in the brain, influencing the release of glutamate. This modulation of glutamate helps regulate mood and emotions, providing swift relief for individuals experiencing severe depressive symptoms.

Treatment Protocol

Spravato is administered in a clinical setting under the supervision of healthcare professionals. Patients receive the nasal spray twice a week initially, with subsequent adjustments made based on individual response. This closely monitored approach ensures the safety of the patient and helps minimize potential side effects.

Efficacy and Clinical Trials

Clinical trials have demonstrated the efficacy of Spravato in alleviating symptoms of depression, especially in individuals resistant to conventional treatments. Patients reported a noticeable improvement in mood, energy levels, and overall functioning. The rapid onset of action sets Spravato apart, with many patients experiencing relief within hours or days, as opposed to the weeks or months typical of traditional antidepressants.

Safety Considerations

to providing a

• Diagnostic Evaluation and Psychopharmacological Treatment of Various Psychiatric Conditions (Depressive Disorders, Anxiety Disorders, Bipolar Disorder, Schizophrenia, Impulse-Control Disorder, Post-Traumatic Stress Disorder, Attention-Deficit Hyperactivity Disorder, Neuro-Cognitive Problems, Obsessive-Compulsive Disorder, Trichotillomania, and others)

• Diagnostic Evaluation and Treatment of Various Substance Abuse and

Problems (Opioids, Alcohol, Nicotine, Cannabis, Methamphetamine, Cocaine, Gambling problems, and others).

• Psychiatric Evaluation for Gastric Bypass, Plastic, General Surgery

• Extensive Work Experience with Military Personnel (Active Duty and Veterans).

• Psychotherapy/Counseling (in the clinic and outside referrals)

Affiliated with Sibley Memorial

While Spravato has shown significant promise, it is crucial to consider potential side effects and adhere to the prescribed treatment plan. Common side effects include dissociation, dizziness, and nausea, typically occurring shortly after administration. However, these effects are transient and tend to subside as the treatment progresses. The supervised nature of the treatment ensures that any adverse reactions are promptly addressed.

Challenges and Considerations

Despite its potential, Spravato is not a one-size-fits-all solution, and its accessibility remains a challenge. The need for administration in a healthcare setting and the potential cost may limit its availability to a broader population. Ongoing research and efforts to improve accessibility will be essential in realizing the full potential of this groundbreaking treatment.

Spravato represents a promising development in the field of depression treatment, offering hope to those who have struggled with traditional approaches. While challenges exist, the rapid onset of action and efficacy in treatment-resistant cases make Spravato a valuable addition to the mental health treatment landscape. As research continues and accessibility improves, Spravato stands as a beacon of hope for individuals seeking relief from the heavy burden of depression.

301-805-6805 page 18 | Your HEALTH Magazine
Don’t wait for tomorrow to start feeling better. Call Today: 410-535-6520 Revitalize Your
We also offer COMPREHENSIVE PSYCHIATRIC EVALUATION and TREATMENT via a confidential HIPAA-compliant Telemedicine program for the entire DMV area.
Mental Well-being
Addiction
From General Psychiatry to Addiction Problems, We Offer Highly Confidential and Personalized Treatment! Venera R. Miller, MD, FAPA, FASAM Double Board-Certified Psychiatrist and Addiction Medicine Specialist
Hospital, Washington DC •
Hopkins Medicine Physician. • Licensed
Maryland, Virginia, and Washington DC 2425 Solomons Island Road, Unit 1B, Huntingtown, MD VeneraMillerMD-cipm.com We now offer
NEW and INNOVATIVE TREATMENT with SPRAVATO for TREATMENT–RESISTANT DEPRESSION. We are an official REMS-Certified SPRAVATO Clinic.
team
healthcare professionals is fully trained in the administration of SPRAVATO®
will
patients during
treatment process. Our clinic
safe and comfortable
treatment.
Johns
in
a
Our
of
and
closely monitor all
the
is committed
environment for patients to receive this
Maryland Edition | page 19 www.YourHEALTHMagazine.net

Howard Horowitz, DPM

Forefoot Surgery

comfortable and difficult. If conservative care fails to reduce these symptoms, surgical intervention may be warranted.

Hammertoes

A hammertoe deformity is a contracture of the toe(s), frequently caused by an imbalance in the tendon or joints of the toes.

Charles L. Feitel Company

Democracy Blvd., Suite 300

, MD 20817

Direct: (301) 365-6940

Fax: (301) 365-6941

Email: cfeitel@medicalanddentalspace.com

CHARLES L. FEITEL

“The Medical Expert In The Washington Metropolitan Area Commercial Real Estate Market”

Let Charles Feitel help you with your next space requirement. His professionalism and medical expertise are unsurpassed. Call now!!

Many foot problems do not respond to conservative management. Your podiatric physician can determine when surgical intervention may be helpful. Often, when pain or deformity persists, surgery may be appropriate to alleviate discomfort or to restore the function of your foot.

Bunions

A bunion, which is a common deformity of the foot, is an enlargement of the bone and tissue around the joint of the big toe.

When symptomatic, the area may become red, swollen and inflamed, making shoe gear and walking un-

Due to the buckling effect of the toe(s), hammertoes may become painful secondary to footwear irritation and pressure. Your podiatric physician may suggest correction of this deformity through a surgical procedure to realign the toe(s).

Neuroma

An irritation of a nerve may produce a neuroma, which is a benign enlargement of a nerve segment, commonly found between the third and fourth toes. Several factors may contribute to the formation of a neuroma. Your podiatric physician will likely x-ray the affected area to determine the size and severity of the neuroma and suggest a treatment plan. If conservative treatment does not relieve the symptoms, your podiatric

Please see “Forefoot Surgery,” page 61

301-805-6805 page 20 | Your HEALTH Magazine Appointments/Info at www.bowiefootandankle.com
Medicine & Surgery of the Foot Location: 14999 Health Center Drive, Suite #112 • Bowie, MD • 301-464-5900 Gentle Care for You and Your Feet • Bunions • Hammer Toes • Ingrown Nails • Heel Pain • Diabetic Foot Care • Fractures/Sprains • Plantar Warts • Orthotics • Computerized gait & balance analysis • Sports Medicine • Joint Pain/Instability • On-site X-Rays & soft tissue imaging Serving Area for over 20 Years Board Certified Evening Appointments Most Insurance Accepted
Bethesda
6701

The Healing Potential Of Reiki A Holistic Approach To Pain Management

In the realm of holistic wellness, Reiki stands out as a transformative energy healing technique, offering profound benefits for pain management and overall well-being. Rooted in ancient wisdom and the power of intention, Reiki operates on the principle that the flow of life force energy, known as ‘Ki’ or ‘Chi,’ plays a pivotal role in our physical, emotional, and spiritual health. By harnessing this energy and directing it with focused intention, Reiki practitioners facilitate a process of balance, healing, and the clearing of energetic blockages within the body.

At the heart of Reiki practice lie five fundamental principles that guide individuals towards mindful living and intention setting. These principles serve as the cornerstone for personal growth and transformation, empowering individuals to align their energy and intentions with positive outcomes. By embracing these principles, individuals embark on a journey towards greater self-awareness, inner peace, and holistic well-being.

Numerous studies and firsthand accounts attest to the remarkable benefits of Reiki for pain management and overall health. Clients often report significant reductions in chronic pain, alleviation of anxiety and depression symptoms, and an overall improvement in mood and vitality. Through its gentle yet powerful approach, Reiki offers a safe and non-invasive means of addressing both physical discomfort and emotional distress. By restoring the body’s natural balance and promoting self-healing mechanisms, Reiki opens the door to profound transformation and renewed vitality.

Numerous studies and firsthand accounts attest to the remarkable benefits of Reiki for pain management & overall health.

Experience the healing power of Reiki in the hands of compassionate practitioners dedicated to supporting your journey towards holistic wellness. Whether you seek relief from physical ailments, emotional imbalances, or simply wish to enhance your

overall sense of well-being, Reiki offers a pathway to profound healing and self-discovery. Embrace the ancient art of Reiki and embark on a transformative journey towards greater harmony, relaxation, and vitality.

Reiki represents a holistic approach to pain management that addresses the interconnectedness of mind, body, and spirit. By tapping into the body’s innate healing potential and promoting the free flow of life force energy, Reiki offers a gentle yet powerful means of alleviating pain, reducing stress, and enhancing overall well-being. Embrace the healing power of Reiki and embark on a journey towards greater balance, joy, and fulfillment in life.

Zen Well Studio is an inclusive, one-stop health and wellness haven dedicated to providing our communities with essential tools necessary to promote healing of the mind, body, and soul. We curate Soul Care Sessions by using a variety of approaches including activation coaching, laser skin care, yoga, sound healing, Reiki, IV Hydration and Employee Wellness Programs and more. Schedule your free 30-minute consultation to see how our team can help you achieve overall health. Healing Your

Maryland Edition | page 21 www.YourHEALTHMagazine.net
Mobile/Concierge Services Available 4475 Printers Court White Plains, MD 20695 301-848-3791 www.ZenWellStudio.com
Soul
Mind, Body, &

Bariatric Surgery and Sleep Apnea

Sleep apnea is a sleep disorder characterized by airway obstruction and disturbed airflow. The airway obstruction is usually caused by excessive tissue around the airway and leads to oxygen starvation during the sleep. It is frequently seen in obese individuals and is highest in individuals who are morbidly obese (greater than 100 pounds overweight). Patients have snoring and frequent

arousal due to the disturbed breathing. Some patients will even stop breathing during sleep, only to wake up suddenly gasping for air. Many individuals are tired during the daytime with a tendency to fall asleep easily. In the long term, there is a risk for cardiovascular and respiratory complications and even sudden death.

Sleep apnea can be screened for during a medical evaluation with questions and a clinical exam. The diagnosis is confirmed by doing a sleep study, either at home or in a sleep lab.

Treatments are aimed at increasing the space through which the air travels.

Traditional treatments include CPAP and BIPAP machines that allow the airway to stay open for oxygen to flow to the lungs. Oral appliances are also used with the same goal but are more appropriate for mild sleep apnea. Surgical treatments have been used to remove tissue from the airway

Please see “Sleep Apnea,” page 61

Cannabis and Fibromyalgia

In a recent study, 62% of patients that have tried cannabis to treat their fibromyalgia said it was very effective. Thirty-three percent said it helped a little and only 5% said it gave them no relief at all. Of course, cannabis won’t cure fibromyalgia – there is no cure. But it can definitely make the symptoms more manageable. There are hundreds of cannabis strains that offer pain relief and will improve your sleep, so experimenting to find the perfect strain to manage your symptoms is key. The FDA has only approved three drugs for the treatment of fibromyalgia – Cymbalta, Lyrica, and Savalla. But many who have

tried these medications claim they either don’t help or add to their symptoms.

Fibromyalgia can be devastating and debilitating, making even the simplest of chores seem overwhelming and exhausting. Fibromyalgia is a complex neurological disorder that is often misdiagnosed and misunderstood. More than five million Americans suffer from fibromyalgia, 80-90% being women. Some of the symptoms of fibromyalgia include chronic pain, joint stiffness, chronic fatigue, insomnia, general weakness, headaches, brain fog, digestive issues, and anxiety. The good news is that while painful, it’s not fatal or progressive.

What Can Cannabis Do For Fibromyalgia?

Medical marijuana can be very useful when it comes to managing pain. This makes it popular among those that suffer from fibromyalgia. Medical cannabis can help you sleep, increase your appetite, work against pain, and reduce nausea. One of the most common symptoms fibromyalgia patients have is depression and anxiety and luckily, medical marijuana can help improve moods and decrease these symptoms.

301-805-6805 page 22 | Your HEALTH Magazine Bringing Earthful Meds to Maryland Come See Us! • Great Prices • Great Service • New Customer Discounts We are local Marylanders, born and raised here, and are proud and grateful to have an opportunity to help people through the science of cannabis. We have selected the highest quality product, tested and certified, for it’s safety and effectiveness. Each of our Dispensary agents are highly trained in the science of this product and are here to help you select the best solution for your needs. Our Story Medical Marijuana is legal in Maryland 240-585-5220 DeMarr Road, White Plains, MD Visit us online at dispensaryworks.com to learn more about us, our daily deals, and the 4 easy steps toward medical certification.
Signature (REQUIRED)_______________________________________________Date_______________ Take the first step to improve your overall health. Learn more by attending one of our FREE educational information seminars OR schedule your first appointment today! Considering Weight Loss Surgery? 240.206.8506 www.tbhinstitute.com Greenbelt and Silver Spring, Maryland

Balance Therapy

Vestibular Rehabilitation

Orthopedic Rehab

Neurological Rehab

Pediatric Therapy

Sports Injury Rehab

Worker’s Compensation

Concussion Management

Hand Therapy

Pelvic Floor Therapy

TMJ Management

Ergonomic & Postural Training

Strength & Conditioning

Gait Training

Customized Foot Orthotics

Electrical Stimulation

Nerve Stimulation

Iontophoresis & Phonophoresis

Manual Therapy/Joint Mobilization

Soft Tissue Mobilization

Auto

Maryland Edition | page 23 www.YourHEALTHMagazine.net Our Services: FYZICAL Therapy and Balance Center of Lanham and Bowie prides itself on providing the best care and education for physical therapy patients. Each location offers personalized treatment with state-of-the-art equipment and a team of physical therapists dedicated to helping patients overcome injuries and return to what they love doing with minimal pain and maximum comfort. Visit fyzical.com/bowie and fyzical.com/lanham to get started today!
Injury Rehabilitation 4000 Mitchellville Road, Suite B430 Bowie, MD 20716 • 240-334-2300 9841 Greenbelt Road, Suite #103 Lanham, MD 20706 • 301-220-2316 3200 Crain Highway, Suite #103 Waldorf, MD 20603 • 240-419-5101

Our bioidentical hormone replacement therapy is designed to restore your depleted hormone levels, which can help you regain your zest for life and revitalize your most valued relationships!

Painful Sex A Real Mid-Life Crisis

It’s one of life’s cruel ironies: the kids are finally out of the house so you have more privacy and free time but having sex gets . . . complicated.

“Both men and women deal with hormone changes in their 40s that can cause changes in sexual arousal, desire and general physical comfort during sexual activity,” says Shannon Chavez, a licensed psychologist and certified sex therapist in Los Angeles.

But for women, pain with intercourse – called dyspareunia (dis-puhROO-nee-uh) – is among their top three menopause problems.

According to the North American Menopause Society (NAMS), a science-driven, nonprofit organization dedicated to promoting the health and quality of life of all women during midlife and beyond, “between 17-45% of postmenopausal women say they

find sex painful.”

The culprit is lower levels of estrogen. Throughout a woman’s reproductive years, estrogen contributes to effective vaginal lubrication and thickens the vaginal wall while increasing blood vessels to the skin. But levels of estrogen wildly fluctuate in women’s 40s and, without hormone therapy, remain low after menopause, causing vaginal atrophy – vaginal dryness and loss of elasticity. Not only can this cause pain during sex, but, over time, intercourse under these harsh conditions also can cause vaginal inflammation and even mild injury, adding to a woman’s distress and discomfort.

Luckily, there are treatments available for vaginal atrophy and dyspareunia, ranging from over-thecounter water-soluble lubricants to topical and systemic hormone therapy. But lubrication alone may not solve

Please see “Painful Sex,” page 66

Fibromyalgia

Fibromyalgia syndrome affects at least six million Americans, causing more disability than rheumatoid arthritis. The prevalence is rapidly increasing, likely having increased by 200-400% in the last 10 years alone. Fibromyalgia remains a condition without a fully understood cause, in which patients report chronic widespread pain and a variety of other common complaints including fatigue, sleep disorders, cognitive deficits, irritable bowel syndrome, headaches, Raynaud’s syndrome, and a wide array of other symptom patterns that do not make sense unless one is familiar with the syndrome.

There are many reasons for widespread pain and fatigue, many of which commonly result in a mistaken diagno-

sis of fibromyalgia. It is important to see a physician experienced in the diagnosis and treatment of fibromyalgia. Medical problems such as undiagnosed hypothyroidism, nerve problems, medicine side effects, connective tissue disorders and autoimmune diseases can be mistakenly called fibromyalgia leaving people going down an ineffective tunnel of treatment and testing.

Unfortunately, even when an accurate diagnosis of fibromyalgia is made, a patient is often told the only thing you can do is to take one of a few prescription drugs. But if these medications are not effective or produce intolerable side effects, the patients are told there is not much else to do other than rest, take it easy and take pain medication.

The good news is there are actually a lot of other things you can do to significantly improve the well-being of people with fibromyalgia.

First, getting a good full night of restorative sleep is absolutely critical. Many people with fibromyalgia will say it has been years since they have had a decent night’s sleep. Using a combination of lifestyle changes, relaxation techniques, herbal formulas and prescription medications can get people sleeping which is often the first step in getting well.

Please see “Fibromyalgia,” page 61

301-805-6805 page 24 | Your HEALTH Magazine ARE YOU SUFFERING FROM: LOW SEX DRIVE MUSCLE LOSS FATIGUE IRRITABILITY HOT FLASHES SLEEP DISTURBANCES WELOWTREAT CALLT! 410.793.5212 Make Every Day a New Day
NewDayVitality.com 1300 Ritchie Highway, Suite B, Arnold, MD 8133 Elliott Road, Suite #203, Easton, MD
Conventional and Integrative care to Schedule Your Appointment Today! 410-266-3613 annapolisintegrativemedicine.com Alan Weiss, MD Board Certified, American Board of Internal Medicine American Board of Anti Aging Medicine 1819 Bay Ridge Ave, Suite 180 • Annapolis, MD 21403
Maryland Edition | page 25 www.YourHEALTHMagazine.net 3450 Old Washington Road Suite #103, Waldorf, MD 20602 CookandSiuMD.com Start Losing Weight In 3 Easy Steps! CALL FOR RISK-FREE APPOINTMENT! 301-472-4290 Nearly 100% Financing Available Complete Medical Intake so your Medical Doctor can develop the best treatment plan for you. Meet with Doctor a licensed Doctor with weight loss experience will review your information. Receive Medication Receive your GLP-1 medication in the mail every month. Free shipping directly to your door. WITH OUR SEMAGLUTIDE PROTOCOL 4 Month Supply – Self Injections Supplies – Initial Consultation Only $396.00 per Month ($99.00 per Week) No Hidden Fees – No Insurance Needed Suppress Appetite Improve Health Lose Weight

Numerous studies have been conducted to verify the prevalence and impact of pain on older adults. The data

Chlorine-Free Steam Sauna Reduces Pain & Inflammation

revealed that older adults ages ≥65 years were dealing with some form or bothersome pain in various parts of their body (knees, hips, hands, shoulders, neck and lower back). The report also indicated that the prevalence of pain was higher in women and in older adults dealing with obesity, musculoskeletal conditions, and depressive symptoms.

One study showed the link between pain and the lack of regular ex-

ercise. Sitting for long periods of time also contributes to promoting pain.

Another aspect to consider is chronic pain. Chronic inflammation that persists over a long period of time due to stress that’s associated with an illness is harmful because it can lead to health problems like heart disease, different forms of arthritis, and cancer.

At Mobile Medi Sauna, we offer safe and effective cellular healing solutions through the use of Pulse Electro-Magnetic Frequencies (PEMF) Powered Sauna Therapy. And best of all, we come to you! For immediate service call us at

to schedule a FREE consultation.

• Spinal Decompression - Non-surgical treatment for chronic low back pain sufferers

• Aqua Massage - Provides a relaxing and therapeutic massage, while fully clothed

• Cold Laser Therapy - A non-intrusive alternative to acupuncture and surgery, can help many pain conditions

• Physical Therapy Modalities

Technique Specialties:

• Activator Method

• Thompson Technique

• Myofascial Release

• Massage Therapy

• Ultrasound

• Custom Orthotics

• Infrared Light Pad

There are tons of prescribed medications for pain and over-the-counter pain products. Health food stores offer natural remedies, and medical marijuana is accepted as a pain relief product for several illnesses. The deadliest pain products that came on the scene about 20 years ago for pain relief are opioids.

Then we have several hands-on treatments such as acupuncture, physical/occupation therapy, chiropractic, etc. – but have you ever considered how helpful a steam sauna can be in alleviating your pain?

Chlorine-free steam heat can open up your body’s blood and lymphatic systems increasing blood flow and lymph

fluid to the areas where you’re experiencing pain. Steam saunas can open both the inside and outside of your body. Blood flow and lymph fluids lubricate stiff joints and increase blood flow. Joints become more flexible, decreasing painful movements. The source of your stress that’s causing inflammation is also gradually being reduced thereby enabling your body to experience a calm that permeates your mind, body and soul. No more pain.

What About My Bathroom?

The steam produced by a standard home heating system will not produce the temperature that’s necessary to have a positive impact on all your body’s systems. Nor is bathroom steam able to stop joint pain or inflammation. The opposite is true. One scientific reports links chlorinated water to numerous health problems like heart disease, diabetes, arthritis, fibromyalgia, and cancer. Sitting in the chlorinated steam produced in your bathroom is actually hazardous to your health.

Chiropractic Treatment and Pain

Chiropractic therapy stands as one of the most prevalent modalities of manual medicine, employing hands-on techniques to manipulate the body. Rooted in Greek origins denoting “done by hand,” chiropractic practice traces back to ancient healing traditions in China, India, and Egypt. Since its formal inception in 1895, chiropractors have emphasized spinal manipulation to alleviate various pains, notably chronic low back pain, neck discomfort, and tension headaches, alongside addressing knee, shoulder, and elbow pain. Central to their approach is spinal adjustment,

aimed at remedying restricted spinal mobility, often supplemented by adjunctive therapies like ultrasound, electrical muscle stimulation, and tailored exercises, all geared toward enhancing spinal function and mobility.

Acknowledging that some patients may be averse to manual manipulation, chiropractors have devised alternatives such as the chiropractic activator. This tool emerged from the necessity for a gentler, more efficient intervention, minimizing discomfort and stress during treatment. By employing the activator, chiropractors can mitigate patient apprehension, facilitating a less painful and more effective realignment of bodily structures. Determining the most suitable approach for each patient remains the chiropractor’s prerogative.

Chiropractic intervention proves beneficial in addressing trauma-induced spinal misalignments resulting from accidents, which can aggravate nerves, bones, ligaments, and discs. Even seemingly minor accidents hold the potential to induce nerve-damaging misalignments, underscoring the importance of prompt intervention.

301-805-6805 page 26 | Your HEALTH Magazine Offering a Full-Range of Chiropractic and Wellness Services: Why Suffer If You Don’t Have To?
Now Accepting New Patients – Call now to schedule your appointment: 410-697-3566 959 Annapolis Road, Gambrills, MD 21054 www.kovachchiropractic.com Accepts Most Insurance Policies Now Offering Dry Needling
Alicia Kovach, DC Aric Adlam, DC Kristina Anderson, DC
Just For You Mobile Medi Sauna Services Improve
Monthly
Your Health with Our
“Medi Sauna” Service
240-350-2835
Maryland Edition | page 27 www.YourHEALTHMagazine.net

Fun and Effective Ways To Teach Kids About Cavities and Oral Hygiene

As a parent, instilling good oral hygiene habits in your children is essential for their overall health. Teaching them about cavities and the importance of brushing and flossing doesn’t have to be dull or tedious. In fact, making it fun can be the key to getting them excited

about taking care of their teeth. Here are some creative tips to engage your kids and make oral hygiene a positive experience:

Use Playful Language: Instead of using intimidating terms like “plaque” or “decay,” try referring to the bacteria in their mouths as “sugar bugs” or “mouth monsters.” Turn oral care into a game by telling them it’s time to defeat

these

Create a Fun Bathroom Environment: Transforming the bathroom into a colorful and inviting space can make brushing and flossing more enjoyable for kids. Use brightly colored toothbrushes, towels, and wall deco-

rations to liven up the area. Consider implementing a reward system where children earn stickers or small prizes for consistent oral care habits. Letting them choose their own toothbrush and toothpaste adds a sense of ownership and excitement to the routine.

Visual Aids and Charts: Kids respond well to visual cues, so consider creating charts or posters that illustrate the steps of good oral hygiene. Include colorful drawings of sugar bugs and healthy teeth to make the information more engaging. Encourage your children to personalize these visuals by allowing them to decorate the charts with their own artwork. Having these reminders in the bathroom serves as a constant reinforcement of the importance of proper dental care. By incorporating these playful strategies into your daily routine, you can make dental health a positive and enjoyable aspect of your child’s life. Remember to lead by example and demonstrate good oral hygiene habits yourself. With patience, creativity, and consistency, you can empower your kids to take control of their dental health and prevent cavities for a lifetime of smiles.

GET TO KNOW DR. DAWN TYLER...

When asked at a young age, “What do you want to be when you grow up?” Dr. Tyler didn’t hesitate to answer “a dentist.”

She always loved her dental visits growing up and is on a mission to give children the same positive experience.

During her Residency, she worked with young, old, healthy, medically compromised, and special needs patients. While Dr. Tyler gained a vast amount of experience in managing all types of problems, she was drawn to working exclusively with children and patients with unique needs.

She’s excited to help you and your child experience dentistry the way it should be – fun, educational, and convenient. Discover peace of mind at Magnolia Kid Friendly Dental.

301-805-6805 page 28 | Your HEALTH Magazine
301-494-8656 10208 Lake Arbor Way • Mitchellville, MD 20721 Learn More: MagnoliaKidFriendlyDental.com Dentistry Designed for Kids and Special Needs Making Visits Fun! • Partnering With Parents Stress-Free For All • Extended Hours Is your little one scared or anxious about visiting the dentist? At Magnolia Kid Friendly Dental, we work exclusively with children and special needs patients. Their smiles have unique needs, and we’re here to help at every stage. Our approach is simple. We take our time, listen to their needs, and make sure to have fun along the way! Preventive Dentistry • Restorative Dentistry • Orthodontics • Cosmetic & Laser Education • Prevention • Modern Technology • and More! Together, we can solve small problems before they turn into big ones and start healthy dental habits young. Call today to schedule your child’s appointment!
can
dental care
like
adventure
chore.
villains by brushing and flossing. This playful approach
make
feel
an
rather than a
Dawn L. Tyler, DDS

UNLOCKING BETTER SLEEP

The Benefits of Dental Sleep Appliances Over CPAP

In the realm of sleep disorders, obstructive sleep apnea (OSA) stands out as a prevalent condition that affects millions worldwide. While Continuous Positive Airway Pressure (CPAP) therapy has long been considered the gold standard for treating OSA, dental sleep appliances have emerged as a promising alternative, offering unique benefits for dental health. Let’s delve into the advantages of these sleep appliances over CPAP and how they contribute to improved oral well-being.

Understanding Obstructive Sleep Apnea (OSA)

Before exploring the benefits of sleep appliances, it’s essential to grasp the nature of OSA. This sleep disorder involves the repeated obstruction of the upper airway during sleep, leading to fragmented sleep patterns, daytime fatigue, and potentially severe health complications. CPAP therapy mitigates OSA symptoms by delivering a continuous stream of air to keep the airway open. However, adherence to CPAP treatment can be challenging due to discomfort, noise, and inconvenience.

Embracing Dental Sleep Appliances

Dental sleep appliances, also known as mandibular advancement devices (MADs) or mandibular repositioning appliances (MRAs), offer a non-invasive and patient-friendly alternative to CPAP therapy. These custom-made oral devices resemble sports mouthguards and are worn during sleep to reposition the lower jaw and tongue, thereby preventing airway collapse and promoting unobstructed breathing.

Enhanced Comfort and Compliance

One of the primary advantages of dental sleep appliances is their superior comfort compared to CPAP masks and machines. Many individuals find CPAP therapy cumbersome and restrictive, leading to poor adherence and treatment discontinuation. In contrast, sleep appliances are discreet, lightweight, and do not require external power sources, fostering greater acceptance and compliance among patients.

Preservation Of Oral Health

Unlike CPAP therapy, which may cause dry mouth, nasal congestion, and irritation, dental sleep appliances pose minimal risk to oral health. CPAP users often experience dryness and discomfort in the mouth and throat due to the forced air pressure delivered through a mask. In contrast, sleep appliances maintain natural breathing through the nose, reducing the likelihood of oral side effects such as xerostomia and dental decay.

& FACIAL

Customized For Optimal Fit and Function

Dental sleep appliances are individually tailored to each patient’s unique oral anatomy, ensuring a precise fit and optimal therapeutic efficacy. Through digital impressions and advanced manufacturing techniques, dentists can design custom appliances that comfortably reposition the jaw without compromising dental occlusion or temporomandibular joint (TMJ) function. This personalized approach maximizes treatment outcomes while minimizing the risk of adverse effects.

Improved Quality Of Life

By alleviating OSA symptoms and promoting restful sleep, dental sleep appliances contribute to a better quality of life for individuals affected by sleep disorders. Patients report enhanced daytime alertness, mood, and cognitive function following successful treatment with sleep appliances. Moreover, the non-invasive nature of these devices eliminates the need for surgery or invasive procedures, offering a safer and more accessible solution for managing OSA.

A Valuable Option

In conclusion, dental sleep appliances represent a valuable alternative to CPAP therapy for individuals seeking effective treatment for obstructive sleep apnea. With their superior comfort, minimal oral side effects, and customizable design, sleep appliances offer a patient-centered approach to managing sleep disorders while prioritizing oral health. By embracing these innovative devices, patients can enjoy restorative sleep and improved well-being, heralding a brighter future for dental health and sleep medicine.

Maryland Edition | page 29 www.YourHEALTHMagazine.net Contact Dr. Bryant Today! 301-249-0553 BRYANT OMS ASSOCIATES JawFacialSurgeons.com 12200 Annapolis Road, Suite #236, Glenn Dale, MD RYANT ORAL
SURGERY

The latest technology in hearing aids will include advances in sound processing to manage loudness input, background noise, and speech intelligibility. This is accomplished with a sophisticated array of microphones that can reduce background noise while allowing meaningful speech to be intelligible. In many cases, this is possible when the speech is coming from different directions such as from the front, side or behind of the individual.

What type of hearing aid is most appropriate is contingent on the degree of hearing loss, issues related to word processing and/or understanding, and lifestyle.

While there are many situations where an OTC hearing aid is appropriate for an adult with mild to moderate hearing loss there are other situations where a prescriptively fit hearing aid is better to meet listening needs.

To achieve an optimal hearing aid fitting, start with a hearing evaluation by a licensed audiologist who can recommend appropriate over-the-counter hearing aids or cost-effective prescription hearing aids.

Note: While most OTC hearing aids are not covered, many prescription hearing aids are covered by medical insurances.

Hear the Sweet (((Sounds))) of

BabyLase™ is the most advanced and gentle treatment available for infant tongue tie and lip tie. This method is easier on both mother and child when compared with more traditional surgical approaches.

Babies, and especially newborn infants, should always receive the gentlest, most effective treatment we can provide. For this reason, we have invested in the revolutionary BabyLase system, which offers a non-surgical alternative for releasing oral soft tissues that interfere with proper nursing. This laser-assisted approach is the most sophisticated treatment available for correcting infant tongue tie and lip tie. The mild

Goodbye

warmth of the light produced by BabyLase can help tighten restrictive tissue to soften and relax into a more functional position. Furthermore, treatment with BabyLase technology offers additional benefits including the reduction of discomfort and inflammation, as well as stimulation of natural blood flow and the nervous system—all of which aid in comprehensive whole-health healing and re-integration of the treated tissue.

Impressions

301-805-6805 page 30 | Your HEALTH Magazine
NEW TECHNOLOGY – Over-the-counter or Prescription Hearing Aids? 301-429-2920 HearingHealthcareServices.com 10111 Martin Luther King Jr. Highway, Suite #102, Bowie, MD 6196 Oxon Hill Road, Suite #240, Oxon Hill, MD
Life
Technology
Janice Trent, AuD
Call Today To Schedule: 703-723-8440 44025 Pipeline Plaza, Suite #225, Ashburn, VA info@KidzSmile.com • www.KidzSmile.com
want your child to have a healthy and fulfilling life full of beautiful smiles!
Our pediatric dentists
optimal
health
wellness,
our
a discovery session!
To get your child started on a journey toward
oral
and whole body
please contact
practice to schedule
sleep appliances, TMJ appliances,
iTero
aligners
dentist’s
Perfect Fit: iTero™ for Sleep & TMJ Appliances! Get the Perfect Fit For Your Smile – Try iTero™ Today! Available At Fairlington Dental: Schedule Now: 703-671-1001 4850 31st Street South, Suite A • Arlington, VA 22206 FairlingtonDental.com
Goopy
With the Cadent iTero™ digital impression system, Dr. Michael Rogers takes a highly accurate digital impression for your
and Invisalign™ clear aligners, completely eliminating the uncomfortable tray and putty impression. What’s more,
technology all but guarantees a perfect fit for your
or appliance, so you spend less time at the
office and more time enjoying your new smile.

Technology

MINI IMPLANTS

Mini dental implants are about half the size in diameter of a regular dental implant. This offers many benefits, and they can also be used in situations where regular implants cannot. If an implant needs to be placed in a narrow space, mini implants are the preferred method because of their smaller size.

A main use for mini implants is to install a full upper or lower denture. A series of mini implants (4-6) are placed along the gum line and they serve as the base of the denture. Rather than placing a single implant for a single tooth, an entire lower or upper set of teeth are directly attached to the gum line. The small size of mini implants often means that no incision needs to be made to place the implant. They can usually be inserted right through the gum into the bone. This eliminates the need for a recovery period, and the restoration can usually be placed a short time after.

Mini implants are also less expensive than regular implants. Only your dentist knows if mini implants are right for you, so call for your consultation today.

Tongue-tie (ankyloglossia) is a condition present at birth that restricts the tongue’s range of motion.

With tongue-tie, an unusually short, thick or tight band of tissue (lingual frenulum) tethers the bottom of the tongue’s tip to the floor of the mouth, so it may interfere with breast-feeding. Someone who has tongue-tie might have difficulty sticking out his or her tongue. Tongue-tie can also affect the way a child eats, speaks and swallows.

Sometimes tongue-tie may not cause problems. Some cases may require a simple surgical procedure for correction.

Tongue-Ties and Frenectomies

include:

• Difficulty lifting the tongue to the upper teeth or moving the tongue from side to side

• Trouble sticking out the tongue past the lower front teeth

• A tongue that appears notched or heart shaped when stuck out CAUSES:

Typically, the lingual frenulum separates before birth, allowing the tongue free range of motion. With tongue-tie, the lingual frenulum remains attached to the bottom of the tongue. Why this happens is largely unknown, although some cases of tongue-tie have been associated with certain genetic factors.

WHEN TO SEE A DOCTOR:

• Your baby has signs of tongue-tie that cause problems, such as having trouble breast-feeding

• A speech-language pathologist thinks your child’s speech is affected by tongue-tie

• Your older child complains of tongue problems that interfere with eating, speaking or reaching the back teeth

• You’re bothered by your own symptoms of tongue-tie RISK FACTORS:

Although tongue-tie can affect anyone, it’s more common in boys than girls. Tongue-tie sometimes runs in families.

ALF ( Advanced Light Force) THERAPY

ALF Therapy has proven to be an extremely valuable tool for those patients who have:

• A need for facial guidance

• Palate expansion

• Narrow palates

• Breathing issues

• TMJ dysfunction

• Craniofacial pain

• Crowded/crooked teeth

• An avoidance for extractions

• Crossbite, overbite or underbite

• Cranial asymmetry

• Sleeping problems — snoring

• Recommendations for jaw surgery

Our ALF appliances are certified by Dr. Darick Nordstrom. He has personally instructed our ALF-certified technicians on the proper design and fabrication techniques to ensure that each technician is capable of creating authentic ALF appliances worthy of certification. The seal below is his stamp of approval.

Dr. Brown is highly trained in ALF (Advanced Light Force) therapy. He has over 500 hours in ALF therapy training and has lectured around the world teaching ALF techniques with Dr. Nordstrom, the creator of the ALF appliances. The ALF appliances are thin, conservative appliances that can be used on the upper and lower arches. They hide behind the teeth, are removable and are basically invisible when being worn. This innovative treatment approach is used to address neurological, orthodontic and orthopedic issues, and the benefits are vast. Each appliance is unique to the patient and designed by the doctor to achieve specific goals relating to health, beauty and function. No ALF appliance is the same, and treatment is pain-free.

Maryland Edition | page 31 www.YourHEALTHMagazine.net
Available At: 301.843.6171 ThunderbirdDentalOffice.com 6 Post Office Road, Suite #104, Waldorf, MD 20602 • Monday-Thursday: 8:00 am-2:30 pm
ThunderBird Dental Office Call Today To Schedule: 301-329-8047 4825 Bethesda Avenue, Suite #220, Bethesda, MD 20814 smile@BCCPediatricDentistry.com • BCCPediatricDentistry.com SYMPTOMS: Signs and symptoms of tongue-tie
Brent C. White, Jr., DDS
A Unique and Sophisticated Approach To Orthodontics and Wellness
2841 Hartland Road, Suite #301, Falls Church, VA 22043 • www.sleepandtmjtherapy.com • 703-821-1103
Airway before ALF Treatment; red shows very serious airway constriction. Airway after ALF treatment, full resolution of this 30-year-old patient’s symptoms.

Featured Health Professionals

Shawn Samad, DDS

Meet Dr. Shawn Samad

Raised in Severna Park, MD, Dr. Shawn Samad is the proud son of Fred and Mary Samad, a working class couple that raised their children in a humble household. Dr. Samad grew up to be an avid sports fan. He still plays soccer regularly and is a HUGE Ravens fan!

He went to college in Westminster, MD, where he received his Bachelor of Science degree with majors in Biology and Chemistry with a special focus on Physics. He then continued his education at UMBC where he worked on a Masters degree in Biology. And finally attended University of Maryland School of Dentistry where he received his Doctor of Dental Surgery (DDS) degree.

Although he has achieved one of the highest educational degrees, he still continuously partakes in Continuing Education (CE) regularly to learn about all of the newest, latest, and greatest techniques and technology. He has received extensive training and experience in Cosmetic Dentistry, Endodontics (Root Canals), Oral Surgery, Implantology, and Invisalign Orthodontics. His belief is Knowledge is Success!!

And it must be mentioned that his office is filled to the teeth (Pun intended) with world class, state of the art, technology in a modern and sophisticated office layout. Dr. Samad’s motto in his work is, “Changing lives, one tooth at a time.” Come on in and meet him. You won’t be disappointed!

Chesapeake

Spine & Pain

Interventions and Therapies

Dr. Anver Khan was born and raised in Maryland. He attended the University of Maryland followed by the Edward Via College of Osteopathic medicine. He trained in Anesthesiology with further fellowship specialization in interventional pain management at the prestigious Johns Hopkins School of Medicine.

Board Certifications:

• American Board of Anesthesiology | Pain Medicine

• American Board of Anesthesiology | Anesthesiology

Education & Credentials:

• Residency Program: Johns Hopkins School of Medicine

| Anesthesiology

• Fellowship Program: Johns Hopkins School of Medicine

| Pain Management

Treatments Dr. Khan and His Team Provide

• Spinal Cord Stimulation (SCS)

• Epidural Steroid Injections

• Facet Joint Injections

• Radiofrequency Ablation

• Medial Branch Blocks

• Sacroiliac Joint Injections

• Kyphoplasty

• Selective Nerve Root Blocks

• Sympathetic Blocks

• Celiac Plexus Blocks

• Joint Injections

• Peripheral Nerve Stimulation

• Minimally Invasive Lumbar Decompression (MILD)

301-805-6805 page 32 | Your HEALTH Magazine
Local Professionals Empowering and Encouraging People To Live Healthier 7508 Wisconsin Avenue Ground Level, Bethesda, MD 301-951-9500 www.BethesdaDentalGroup.com 4373 Northview Drive Bowie, MD 301-464-8707 www.TheBowieDentalGroup.com 14333 Laurel Bowie Road Suite #100, Laurel, MD 301-953-3081 www.LaurelPinesDental.com
The Bowie Dental Group , 110 Hospital Road, Suite #211 Prince Frederick, MD 20678 Call Today: 410-656-2869 Dr. Anver Khan ChesapeakeSpineAndPain.com

Featured Health Professionals

Alicia Kovach, DC

Degrees/Training: Graduate of Palmer College of Chiropractic, DRX Training, Activator, Myofascial Release, Board Certified Physical Therapy and Webster Certification. Trained in the Thompson Technique, as well as in the latest evidence based Chiropractic treatments for Pediatric and Pregnancy Care

Associations: Maryland Chiropractic Association, International Chiropractic Pediatric Association

Areas of Interest: Maternity Care, Pediatric Care, Worker’s Compensation, Personal In jury, Spinal Decompression for Herniated Discs

Pregnancy and Chiropractic

Regular chiropractic care is an integral part of the prenatal and postpartum care during pregnancy. It helps keep mom feeling good and assists her in coping with the physical stresses of an ever changing body.

Infants and Chiropractic

Chiropractic is a holistic approach to the treatment and management of health condi tions. Chiropractic care encompasses a wide variety of safe, natural and noninvasive treat ments. This includes chiropractic spinal adjustments, exercise and stretching programs, diet and nutritional counseling, soft tissue techniques, to name a few. In experienced hands, chiropractic care can provide your infant, child or adolescent with a lifetime of health and happiness.

Scoliosis in Children

Scoliosis is the lateral deviation of the spine and affects not only adults, but more com monly affects children and adolescents. The goal is to eliminate discomfort and prevent progression of the lateral curvature. If the curvature continues to progress severe spinal deformity can occur resulting in physical disability and cardiovascular compromise.

Sports and Children

Sports and regular physical activities not only serve as fun-time for children and teens, but more importantly, improves their overall health and wellness status while promoting a healthy lifestyle which they can carry into their adulthood years.

Nutrition and Children

The rate of childhood obesity has been rising significantly over the last 30 years. Studies have shown that obesity in childhood dramatically increases the odds of obesity in adult hood, a condition which compromises health and overall well being. Obesity is a difficult condition to treat as it requires a very high level of self-discipline in order to overcome. It is thus especially important to prevent obesity from occurring during childhood or seeking immediate and effective treatment if it does exist.

Children and Chiropractic Care

Dr. Kovach works collaboratively with the care team for the youngest of patients, and takes great pride in ensuring that they receive the best treatment. She has completed training with the International Chiropractic Pediatric Association (ICPA) and is truly pas sionate about treating the whole family at all stages of life. If you have any questions or would like more information on the services Dr. Kovach provides, please feel free to contact the office at 410-697-3566.

Aric Adlam, DC

Dr. Aric Adlam was born and raised in the suburbs of Detroit Michigan where he started receiving chiropractic care at the age of 2 years old. After a traumatic football injury threatened his future athletic career at the age of 16, Dr. Adlam turned down a risky spinal surgery for an all chiropractic approach. After missing only a half of a football season instead of the predicted 2 years; Dr. Adlam was back on the field. More importantly, Dr. Adlam had decided during that time that he had found his calling in life and decided to pursue a career as a Chiropractor.

Dr. Adlam received an undergraduate Bachelor of Science degree with an emphasis in Biological Sciences before entering chiro practic school. He then continued his education at Life University College of Chiropractic in Marietta, GA where he received his Doc torate of Chiropractic degree, fulfilling his dream of becoming a Chiropractor.

Dr. Adlam is highly trained in the diagnosis and treatment of soft tissue injuries often encountered in the spine, extremities and the rest of the body. He has extensive experience with the current state of the art spine rehabilitation technology and diagnostic equipment used in the treatment of spine related injuries. He has had success in treating many patients who have dealt with chron ic neck and low back pain for years as well as headaches sufferers that found no relief in the traditional medical model. He has ex tensive expertise in the treatment of whiplash injuries that often result from automobile accidents. Dr. Adlam is also well trained in the diagnosis and treatment of bulging discs in the low back and neck utilizing the latest treatment methods available.

Dr. Adlam comes from a history of highly competitive sports and takes pride in getting the high performance athlete to the weekend warrior back in the game safely and effectively. He looks forward to bringing the patients of Kovach Chiropractic and Well ness Center the best chiropractic care possible.

Kristina Anderson, DC

Dr. Kristina Anderson was born and raised in northern New Jersey. She completed her undergraduate studies at the University of Maryland, College Park where she received her Bachelor’s degree in Kinesiology. She then went on to receive her Doctor of Chiropractic degree and Masters in Applied Clinical Nutrition at New York Chiropractic College.

Since graduating, Dr. Anderson has received certifications including Rocktape, Dry Needling, Active Release Technique, FAKTR (Functional and Kinetic Treatment with Rehab), and the Webster Technique. After having to take time off from Track and Field in high school due to quadriceps tendinitis, she understands the importance of quality rehabilitation and care and continues to educate herself to better assist her patients.

Throughout her career as a chiropractor, Dr. Anderson has worked with a variety of patients including athletes, perinatal, postnatal, personal injury, adolescents, and geriatric. Dr. Anderson works tediously to ensure that maximum therapeutic benefit is achieved. Outside of work Dr. Anderson enjoys reading, watching stand-up comedy, musicals, and traveling with her husband.

Maryland Edition | page 33 www.YourHEALTHMagazine.net
Local Professionals Empowering and Encouraging People To Live Healthier 959 Annapolis Road, Gambrills, MD 21054 410-697-3566 KovachChiropractic@comast.net www.KovachChiropractic.com
Offering a Full-Range of Chiropractic and Wellness Services: • Spinal Decompression • Aqua Massage • Cold Laser Therapy • Custom Orthotics • Massage Therapy • Ultrasound •
Light Pad • Physical Therapy
Infrared
Modalities

Local Professionals Empowering and Encouraging People To Live Healthier

Winters Chiropractic & Physical Therapy

With offices in Charlotte Hall, and La Plata, we are conveniently located to help with all of your chiropractic needs. Since serving the community since 2003, we offer many services such as chiropractic adjustments, physical therapy, exercise therapy, children’s therapy, DOT/CDL Physicals, and more. Winters Chiropractic and Physical Therapy is a full service care office. We focus on our patients comfort while providing the latest techniques to relieve persistent pain.

Dr. Paul J. Winters

BS, DC w/PT Privileges, CME

Degrees, Training, and Certifications: Doctor of Chiropractic, Northwestern College of Chiropractic; Bachelor of Science, North Dakota State University; Certified Medical Examiner, FMCSA (Federal Motor Carrier Safety Administration). Doctor of Chiropractic w/Physical Therapy Privileges, FMCSA DOT/CDL Certified Medical Examiner.

Professional Memberships/Associations: Maryland Chiropractic Association, Maryland Board of Chiropractic & Massage Therapy Examiners.

Techniques: Diversified, Thompson, SOT, Active Release Technique, Passive Release Technique, Trigger Point Therapy

Expertise: Personal/Work/Sports Injuries, DOT/CDL Medical Certifications, Musculoskeletal Disorders, Nutrition.

Personal Interests: Family and Vacationing, Motorcycling (Harley Davidson), Snowmobiling, Target Shooting, Computers

Dr. Patrick C. Winters

DC w/PT Privileges

Degrees, Training, and Certifications: Doctor of Chiropractic, Northwestern College of Chiropractic; Bachelor of Science, Human Biology Minnesota State University. AMA Guides to Evaluating Permanent Impairment, Certified Disability Examiner, Manipulation Under Anesthesia Certified.

Professional Memberships/Associations: Maryland Chiropractic Association

Techniques: Diversified, Thompson, SOT, ART/PRT, TPT, MUA

Expertise: Personal, Work and Sports Injuries, Spinal and Extremity Conditions, Musculoskeletal Disorders and Nutrition

Personal Interests: Family, Home, The Great Outdoors, Motorcycles, Snowmobiles

301-805-6805 page 34 | Your HEALTH Magazine Featured Health Professionals
R R
Appointments Available within 48 Hours. Charlotte Hall Location 29770 Three Notch Road, Suite #205, Charlotte Hall, MD 20622 (Next to Cord’s Cabinetry) Phone: 301.884.3423 • Fax: 301.884.0371 La Plata Location 101 Centennial Street, Suite A, La Plata, MD 20646 Phone: 301.934.9762 • Fax: 301.884.0371
www.DocWinters.com
Maryland Edition | page 35 www.YourHEALTHMagazine.net Featured Health Professionals Local Professionals Empowering and Encouraging People To Live Healthier EIHMD.COM Decreases Inflammation Recover Quicker From Injuries Reduces Pain Improves Performance Feel Rejuvenated Improves Sleep Reduces Fatigue Produces Collagen Boost Metabolism Maryland Cryotherapy utilizes cutting-edge therapy technology to improve performance and boost your body’s natural recovery processes! MDCRYO.COM MILLERSVILLE 410-729-2200 LANHAM 301-577-6556 REPAIR • RECOVER • REJUVENATE MILLERSVILLE 410-451-2653 Effective Integrative Healthcare provides a wide variety of services that make them a one-stop shop for healthcare: Habla Español Immune + Energy Boosting –Effective Vitamin IV Therapy NEW – Triple Immune Boost Shot Vitamin Shots • Medical Weight Loss Chiropractic • Physical Therapy Acupuncture • Massage Bio-Identical Hormone Pellets & more – all under one roof! Our Experienced Teams Will Help You Feel Better This Summer!

Featured Health Professionals

Ron Murray, PhD

Integrative Family Physician

Dr. Beals specializes in holistic therapy for cancer and heart disease and is an expert in chronic lime disease.

Degrees, Certifications and Professional Memberships:

Practice Philosophy: Based on years of practice, I have found that the human body has a natural inclination to find its way home, to restore an equilibrium that constitutes health. Through Manual Regulation Therapy, (MRT), I help promote, enhance, and assist the wisdom of the body toward natural healing.

Treatments: Manual Regulation Therapy (MRT) combines mind-body therapy, biological medicine and energy medicine for a wide range of health issues including Traumatic Brain Injury, Concussion, Chronic Pain, Asthma, Calming Autonomic Nervous System Fight or Flight Stress Response and more. Peptide bioregulators and pleo-sanum homeopathic remedies.

Ron’s initial training started with a physiotherapist degree specializing in osteopathic manipulation, after which he earned a second degree as a Traditional Naturopath. Upon completing his third degree, Doctor of Integrative Medicine, Ron Murray, Ph.D., taught a fluid approach to cranial manipulation as a Faculty Member for 10 years, earning distinction as Instructor Emeritus of Clinical Medical Education at Capital University of Integrative Medicine.

Ron Murray was trained in advanced forms of cranial, visceral, somato emotional release, lymphatic, energetic and psychoemotional work. The integration of this work led him to understand that there is a gelatinous fluid system that continues throughout the body. It also proved that all structures in the body are uniquely tied together to form a system called the extracellular matrix which connects every cell with every other cell, then cells to organs, then organs to the organism or human body. It is by gentle manipulation of this matrix that Ron gets such extraordinary results.

What Patients Say:

“No one could find the source of my pain. It was severe and unexplained but Ron was the first person to finally understand the source of my pain and began to treat me. For the first time I have had a significant reduction in the pain level and have gotten my life back....” Ebony

“I visit Ron Murray on a routine basis for tune-ups. My body feels balanced after a session. He helped me with sinus and respiratory issues.” Mac, Northern Virginia, Engineer

“Ron Murray has helped me literally from head to toe and everything in between. He eliminated my tension headaches, corrected repetitive hand and shoulder injuries, and accelerated healing from foot surgery, even when I was up to my knee in a cast.” F.P., DC Metro Area, Musician

Board Certified in Family Practice

Certified Clinical Nutritionist (CCN)

MD, Temple Medical School, Philadelphia PA

Member of the American College of Advancement in Medicine (ACAM) – Certified Chelation Therapist

Member of ILADS, International Lyme Associated Disease Society

Others:

Rotating internship, Harrisburg PA

Flight surgeon in the U.S. Air Force

Former volunteer instructor, Georgetown Medical School, introductory course on Alternative Medicine

Frequent guest on national TV and radio talk shows discussing complementary and alternative medicine

35 years in practice

We Go The Extra Mile By Giving You The Best Of Both Worlds: Conventional and Alternative Medicine

Holistic Medicine Nutrition

We believe in eating healthy food as close to its natural state as possible for the best health for you and your family. Our holistic nutrition includes unrefined, unprocessed, and organic whole foods.

Holistic Therapy Diabeties and Heart Disease

Our committed and professional staff will provide medical care to a family as a whole, with the main aim of working towards excellence, sincerity and a quality health care services. Holistic Therapy is very effective amongst heart and vascular patients.

Chronic Lyme Disease Treatment

Chronic Lyme Disease is part of our most prized specialties. Lyme disease is a common underlying cause of chronic illness. Dr. Beals is able to test for and treat these root problems of illness using both conventional methods and complementary therapies.

LabCorp On Site

With our LabCorp services, you have opportunities as our patient to participate in tests that can improve the quality of your life. You are entitled to carrying out our lab test which ranges from routine tests such as cholesterol tests and blood tests. This helps to diagnose some genetic diseases such as cancer and some other uncommon diseases.

Family Practice Medicine

Our committed and professional staff will provide medical care to a family as a whole, with the main aim of working towards excellence, sincerity and quality health care services.

Integrative Cancer Support

The goal of integrative holistic medicine is to work with the patient as the center of the medical team and combine both traditional and complementary treatments to restore the patient to a better state of health. Whereas traditional medicine will focus on only treating the tumor.

301-805-6805 page 36 | Your HEALTH Magazine
Empowering and Encouraging People To
120 Sallitt Drive, Suite F Stevensville, MD 21666 410-604-6344 Paul V. Beals, MD, CCN www.DrPaulVBeals.com Meet
V. Beals
Local Professionals
Live Healthier
Paul
, 5225 Wisconsin Avenue, NW Suite #402 Washington, DC 20015 202-237-7000
Areas of Focus: Chronic or Unresolved Pain, Asthma, Concussion, Traumatic Brain Injury, Headaches, Fibromyalgia, Post-surgical Pain
NIHAdc.com
At:
Integrative Healthcare Practitioner

Light Up Your Smile

Meet E. Taylor Meiser, Jr.

Degrees/Training: DDS, University of Maryland

Dental School; General Practice Residency, San Diego Naval Hospital; Prosthodontics Residency, Naval Dental School, Bethesda; U.S. Navy Dental Corps Officer, Commander, USN, (retired).

Professional Memberships: American Dental Association, Maryland State Dental Association, Anne Arundel County Dental Society, Annapolis Dental Study Club, Chesapeake Implant Study Club, University of Maryland Alumni Association.

Practice Philosophy: To follow the “Golden Rule” in all aspects of professional dental care, providing outstanding quality dentistry in a caring, comfortable and comprehensive manner. Lighthouse Family Dentistry will “Light Up Your Smile.”

Renee Bovelle, MD Ophthalmology

12200 Annapolis Road Suite #116 Glenn Dale, MD 20769

Board Certified, Ophthalmology by the American Board of Ophthalmology

Degrees, Training and Certificates: UCLA Medical School; Yale University Hospital for Residency; Louisiana State University for Cornea and Refractive Fellowship

Professional Memberships/Associations: American Academy of Ophthalmology; American Society of Cataract and Refractive Surgery; International Society of Refractive Surgery Areas of Interest: All laser custom LASIK; Cataract Surgery; Botox; Dermal Fillers; Cornea Comprehensive Ophthalmology

Practice Philosophy: Envision Eye and Laser is committed to delivering superior ophthalmic care with state-of-the-art technology and patient education in a caring, compassionate environment. We cater to a diverse population of adults and work with your primary care physician to improve the quality of your overall health and life. Your best vision is our focus.

Maryland Edition | page 37 www.YourHEALTHMagazine.net
Professionals Local Professionals Empowering and Encouraging People To Live Healthier 37 Old Solomons Island Road Annapolis, MD 410-224-4411 E. Taylor Meiser, Jr., DDS www.LighthouseFamilyDentistry.com
Featured Health
Meet Dr. Bovelle
301-805-4664
EnvisionEyeandLaser.com Your Best Vision Is Our Focus

Featured Health Professionals

Dr. Weiss received his Bachelor of Arts from University of Virginia, and his Doctor of Medicine from McGill University. His Post-Graduate Training Includes: University of Hawaii Internship in Medicine, St. Elizabeth’s Hospital (Boston) Residency in Internal Medicine, Board Certified Internal Medicine, Fellow American Academy of Anti-Aging Medicine. Practice Philosophy: Combining the best of conventional treatments, natural approaches and alternative strategies.

Areas of Interest:

• Expert treatment of chronic fatigue syndrome and fibromyalgia

• Nutritional strategies and weight loss, including HCG protocol

• Bio-Te Hormone Replacement

• Addressing thyroid problems and adrenal fatigue using natural and holistic therapies

• Intravenous therapies

• Combining the best of conventional and holistic therapies to address chronic and complex health care issues

• Anti-Aging protocols using Botox, Dysport and Peptide Therapy

Kim has had a wide variety of experience as a nurse, from ICU service to Oncology nursing, and is an expert with IV therapies and is committed to her patients being comfortable, safe and well informed.

Kim has been utilizing IV therapies very safely and therapeutically with over 25 years as an IV Nurse, has been administering nutritional and integrative IV’s in many different settings and practices throughout Maryland and Massachusetts. She is able to tailor these therapies to meet individual needs and requirements. Many people can benefit from these therapies and they can jumpstart your road to recovery and health.

Treatments Offered Include:

• IV Therapies: Vitamin C Drips, Meyers Cocktails, Glutathione, Mineral IV's,

• Alpha Lipoic Drips. B12/MIC injections

• Botox/Dysport

• Morpheus8, Votiva (vaginal rejuvenation, especially for urinary incontinence)

• Traditional Microneedling treatments

• VIPeels including NEW BODY PEELS

• Heidelberg PH Capsule Testing

Trusted Experts in Foot Care

Dr. Horowitz arrived in the Washington metro area in 1986 and established Bowie Foot and Ankle later that year. He quickly joined the staff at the newly opened Bowie Health Center Surgery Center. Dr. Horowitz enjoys the general nature of his practice and sees patients of all ages with a variety of foot problems. He especially enjoys dealing with the orthopedic nature of many podiatric problems, whether they be of recent onset or long standing. He has found that chronic problems affecting the ankle, knee, hip or back, can often be traced to recent symptoms within the foot, or vice versa.

Dr. Horowitz has been practicing in the Bowie area for over 25 years. He graduated from the Illinois College of Podiatric Medicine with a Doctorate of Podiatric Medicine and did his postgraduate training in podiatric medicine and surgery in association with the Podiatry Group of Greater New York and the New York College of Podiatric Medicine. Dr. Horowitz remained in New York for an additional two years to practice with several of his training program’s attending doctors in order to further hone his medical and surgical skills. Dr. Horowitz continues to expand his knowledge in podiatric medicine, in an effort to bring advances in treatment and technology to his patients.

Professional Affiliations: American Podiatric Medical Association, Maryland Podiatric Medical Association and American Academy of Podiatric Sports Medicine

Special Interests: Chronic foot and ankle musculoskeletal issues, Orthopedics, Surgery

Board Certifications: Podiatric Surgery - American Board of Medical Specialties in Podiatry; Podiatric Surgery, Podiatric Orthopedics - American Board of Podiatric Orthopedics and Medicine, Prosthetics, Custom Orthotic / Brace Fabrication and Shoe Modification

Family: Wife: Karin and Children: Aliza and Talia

301-805-6805 page 38 | Your HEALTH Magazine
Local Professionals Empowering and Encouraging People To Live Healthier Alan Weiss,
AND Kim Weiss, RN AnnapolisIntegrativeMedicine.com
MD
1819 Bay Ridge Avenue Annapolis, MD 410-266-3613 Annapolis
Meet Alan Weiss Meet Kim 14999 Health Center Drive Suite #112, Bowie, MD 301-464-5900
Horowitz, DPM www.BowieFootandAnkle.com Meet Howard Horowitz
Integrative Medicine
Howard

Featured Health Professionals

Local Professionals Empowering and Encouraging People To Live Healthier

Craig A. Smith, DDS

Dentist

7201 Hanover Parkway

Meet Craig A. Smith

Dr. Craig Smith is committed to health through dentistry, ensuring you have optimal oral health which contributes to your overall health and well-being.

Quality service, advanced technology and a passionate commitment to education means patients receive the best that dentistry has to offer.

Dr. Smith’s Philosophy: Always listen to the patient and in turn respond in an educational manner so that the patient will understand.

Degrees, Training, and Certificates: Doctor of Dental Surgery (D.D.S.) - Howard University College of Dentistry; 2 Year General Practice Residency; Chief Resident - Harlem Hospital Center (Affiliate of Columbia University); Certified Invisalign Provider

Professional Memberships: National Dental Association

Areas of Interest: All phases of dentistry - cosmetic, implant, crowns and bridges, root canals, veneers, preventive care, Invisalign and whitening.

Hobbies: Mountain biking, racquetball, golfing, and boating. My interests are to continue to deliver quality dentistry and to further reach out to the community to help to increase the peace.

Additional: Many patients do not understand the importance of a healthy mouth, as health problems could arise. I want to educate all of my patients on health through dentistry.

Zoom! Whitening Special

Now Only $399 (Regular Price $699)

JOIN US IN WELCOMING SEOKJU TO THE TEAM

With a specialty in Pain management, Mr. Seokju Kim brings his knowledge and skills to Noble Integrative Health. Mr. Kim is a Maryland and Virginia board-licensed acupuncturist and certified by the National Certification Commission for Acupuncture and Oriental Medicine (NCCAOM). Raised in South Korea within a family deeply rooted in Korean medicine, Seokju was inspired by his acupuncturist father’s practice from a young age. Through treatments with herbal medicine and acupuncture, he witnessed firsthand the positive effects of these therapies, sparking his passion for healthcare. With a keen interest in the healthcare field, Seokju pursued a degree in Sports Science, focusing on biomechanics, human anatomy, musculoskeletal systems, and physical therapy techniques. This academic journey provided him with a profound understanding of the human body and enhanced his ability to deliver exceptional care.

Upon completing his bachelor’s degree, he embarked on a journey to the United States to follow in his father’s footsteps. He graduated from the Virginia University of Integrative Medicine with a Master’s degree in Oriental Medicine to delve deeper into acupuncture and Chinese herbal medicine, and completed a successful internship. He embarked on a mission to blend his academic expertise with his family’s legacy in healthcare.

With years of experience at a physical therapy & acupuncture clinic in Northern Virginia, where he has treated a wide range of musculoskeletal and neurological disorders, headache, and internal health issues including indigestion and sleep disorders, he has further developed a comprehensive understanding of patient care.

Seokju is committed to staying at the forefront of his field, integrating modern musculoskeletal treatment techniques with Korean medicine and Traditional Chinese Medicine (TCM). Additionally, he is proficient in various forms of Integrative medicine, including cupping therapy, tui-na, and Chinese herbal medicine.

Seokju prioritizes patient-centered care and tailors healthcare plans to alleviate pain and enhance overall well-being. He is deeply committed to advancing patient care through the utilization of cutting-edge technology, evidence-based medicine, and collaborative interdisciplinary approaches. His ultimate goal is to help patients relieve pain, improve their quality of life, and foster balanced and healthy lifestyles.

Maryland Edition | page 39 www.YourHEALTHMagazine.net
Suite
301-446-1784
A, Greenbelt, MD
General Dentistry/ Family
, 7307 Baltimore Avenue Suite #208,
Park, MD 240-512-8627
Kim,
Expires 06/30/24
College
Seokju
LAc
NobleIntegHealth.com

Featured Health Professionals

Local Professionals Empowering and Encouraging People To Live Healthier

Sarah A. Merritt, MD

Pain Management Specialist

Meet Sarah A. Merritt:

My Degrees & Training: Majored in Biology Birmingham-Southern College and graduating Phi Beta Kappa. During medical school at the University of Alabama in Birmingham, Dr. Merritt was selected for the prestigious Howard Hughes Medical Institute-National Institutes of Health Research Scholars program, and worked for a year during medical school as a researcher at the NIH in Bethesda, Maryland. Dr. Merritt performed her residency at the University of North Carolina in Chapel Hill, and pursued extra fellowship training in pain management at the Johns Hopkins Medical Institute. Her training included the full spectrum of pain management techniques, including interventional pain management and pain medication management.

Professional Memberships: Board Certified in Anesthesiology and Pain Management through the ABMS, the gold standard in physician certification. She has practiced in a variety of settings since training, including Johns Hopkins. She has also volunteered her time to travel to India, providing anesthesia for cleft lip and palate surgeries.

Are You Tired Of Being Held Back By Your Pain?

Are you experiencing pain and or discomfort that is preventing you from excelling in life? Does your pain and or discomfort cause you to lack motivation in completing daily tasks? Does your pain and or discomfort prevent you from reaching personal or professional goals that you have set for yourself? Are you tired of being held back by your pain? Are you tired of being in pain? Are you tired of being tired?

It’s human nature to not seek out help for ourselves. Pain management can be achieved at home utilizing proper tools and or techniques. However, in many cases individuals don’t exactly know what to do to manage, minimize, or eliminate their pain. These individuals continue living with their pain or discomfort which leads to additional issues that need to be addressed. Additional issues could be related to personal, family, social, and or professional interference. Seeking help from specialized pain management doctors becomes necessary in order to get back to living a life free from pain.

At a pain management clinic pain management specialists have a variety of pain management techniques and procedures that can be utilized. This dream team of pain management doctors look at each

patient as an individual and treat the concerns at hand on an individual basis, never taking a “one size fits all” approach. Their ultimate goal is to improve their patient’s quality of life. If your pain and or discomfort is causing your quality of life to be less than you deserve, its time to reach out for help.

It’s never easy to admit that we need help, especially medical help. However, there’s times that it’s necessary in order to move past the challenges and regain our life. Pain management specialists are taking new patients now. They’re also happy to provide second opinions. They have multiple clinics conveniently located in Baltimore, MD as well as in Glen Burnie and Bowie accepting most insurance programs including Medicaid and Medicare. If you are unable to come in person and live in Maryland please inquire about their Telehealth program.

Don’t allow your pain and or discomfort stop you from living your life to its fullest! Reach out today to get your initial consultation scheduled!

301-805-6805 page 40 | Your HEALTH Magazine
4000 Mitchellville Road Suite B322 Bowie, MD 20716 301-860-0305
LifeStreamHealth.com

Ready To Get Healthy?

Your HEALTH Magazine publishes and distributes health information people need. We produce special sections to focus on particular health topics each month, and profiles of local health professionals. It Makes a Difference!

what you can look forward

July MEET YOUR LOCAL HEALTH PROFESSIONALS – Biographical profiles of a wide variety of local health professionals (Primary Care, Specialists, Integrative, Fitness, and more), highlighting their credentials, expertise, education, practice philosophy, areas of interest, and more!

August WOMEN’S HEALTHCARE and WOMEN IN HEALTHCARE – All the information women need about health, plus profiles to highlight the important women involved in all areas of healthcare – from physicians and nurses to pharmacists and office support staff. Will include Profiles from your Local Women Healthcare Professionals.

September DENTAL HEALTH plus WEIGHT CONTROL, EXERCISE AND NUTRITION – Dentists, Cosmetic Dentistry, TMJ, Periodontics, Orthodontics, Oral Surgeons, Endodontics, and more! Gyms, nutrition and diet plans, weight loss, surgical alternatives, to help affect America’s out-of-control weight problems. Will include Profiles and Information from your Local Dental Health and Exercise and Nutrition Professionals.

October CANCER AWARENESS and HEALTH TECHNOLOGY – Professionals to help with prevention, early detection and surviving cancer. Information for men and women, and their families, and professionals who can provide help! Will include Profiles from your Local Cancer Health Professionals.

November BEAUTY, SKIN CARE, & GORGEOUS SMILES – Dermatology, Aesthetics, Body Contouring, Plastic and Cosmetic Surgery, the Latest Lasers, Anti-Aging, Weight Loss, Cosmetic Dentistry, Eye Wear, and more! Will include Profiles and Information from your Local Beauty and Dental Health Professionals.

and

Maryland Edition | page 41 www.YourHEALTHMagazine.net
Here’s
to:
We Can Help! Pick up a copy of Your Health Magazine at Washington DC, Maryland, and Northern Virginia grocery stores, pharmacies, convenience centers, doctor offices, libraries, spas, salons, and more! Or Read Online: www.YourHealthMagazine.net 301-805-6805 • publish@yourhealthmagazine.net
Health Professional interested
practice information
the magazine
online,
us today:
If you are a
in including your
in
contact
MakingaD ference Vrginia •Ma y and•Washng on D C 34 Years 1990•2024 Celebrating Paul V. Beals, MD, CCN Conventional/Alternative Toni Greene, Owner Hypnosis/Yoga Beth Albaneze, MA, CTRS CPRP, Mental Health Sharron Sample, CEO Medical Cannabis Irene Cady-Harrington Nursing Services Rami Makhoul, MD Colon and Rectal Surgery 50 CENTS View Latest Editions Scan Me! Alexander Pitts-Kiefer MD, Pain Management Netsere Tesfayohannes, MD Pain Management Alexander C. Nnabue OD, PA, Optometry Larry W. Bryant, DDS Mary B. Alexander, DDS DMSc, Periodontics Jeffrey L. Brown, DDS TMJ & Sleep Disorders Howard Horowitz DPM, Poditatry Pam Lauer Optician Karl. A. Smith, DDS MS, Periodontist Gelareh Naenifard DC, Chiropractor Brent C. White, Jr. DDS, Dentistry Matthew Skancke, MD Colon and Rectal Surgery Suzan Ebrahimi, MD Gastroenterology Tuesday Cook, MD Bariatric Surgery Sivakumar Sreenivasan, DMD Maxillofacial Surgery Judy Yu, DMD, MBA Dentistry Janay Taylor, CRNP Integrative Health Elizabeth “Andie” Shin DDS, Pediatric Dentistry Alicia Kovach, DC Chiropractic Aric Adlam, DC Chiropractic Dr. Melo Forchu Wellness Solutions Megan Cloud, DC Chiropractic Janet V. Johnson, MD Pediatrics Robin R. Robinson AuD, Audiology Alan Weiss, MD Integrative Medicine E. Taylor Meiser, Jr. DDS, Dentistry Kim Weiss, RN Registered Nurse Maureen Vernon, PhD Psychological Counseling Julia Brewer Pet Nutrition Shawn Samad, DDS Cosmetic & Emergency Dentistry David E. Harmon, Jr. DDS, MSD, Orthodontics Janice R. Trent AuD, Audiology Marny Fetzer, MD, CPE Hospice & Palliative Medicine Ming Xu, LAc, DAOM Acupuncture Paul J. Winters DC, Chiropractic Patrick C. Winters DC, Chiropractic Ross S. Myerson, MD Occupational/Environmental Rashmi K. Parmar, DMD Dental Sleep Medicine Lisa Thorne Holistic Coach Craig A. Smith, DDS General Dentistry Farhad Naseh, MD Ophthalmology Renee Bovelle, MD Ophthalmology Deana Moody, DDS Dentistry Burton Katzen, DPM Podiatry Gwen Beverly, NonSurgical Hair Restoration Susan Brennan, RN, BSN IBCLC, Breastfeeding Monica Greene, Owner Mental Health Angel Wood, DACM LAc, Acupuncture Nekia Staley-Neither DDS, Dentistry Rachelle Polk, Owner Wellness Coach Ghassan Jacklis DMD, Dentistry David Mazza, DDS Implant & Cosmetic Dentistry Frederick Barr, MD Medical Oncology Paul Bannen, MD Medical Oncology Frederick P. Smith, MD Medical Oncology Betsy Paul Yoga and Wellness Lynda Dean-Duru, DDS Children’s Dentistry Ebere Azumah, MD MPH, FACOG, OB/GYN Graham Corby ABOC, Optician Krystle Dean-Duru, DDS Children’s Dentistry Joshua Thorp, DC Chiropractor Janine Horne, MSN-Ed, RN AHN-BC, Holistic Nurse Richard Cook, MD Body Contouring WWW.YOURHEALTHMAGAZINE.NET • MARYLAND EDITION • JANUARY 2024 Health Professionals Near You Articles & Advice From Local Doctors! PLUS: Beauty & Skin Care • Dental Implants Weight Loss • Children’s Health Senior Living • & More! • Health Directory page 64 IMPORTANT! IN OUR NEXT EDITION: Cardio Health, Diabetes & Nutrition

Discover the power of personalized nutrition! Dr. Florence Omerennah, Registered Dietitian/ Diabeties Educator, will work with you to build your personalized nutritional assessment, creating an individualized plan that works for you.

LEARN HOW TO…

• Manage menopause with diet

• Eat optimally during pregnancy

• Prevent cancer with diet

• Lose weight and keep it off

• Better control your eating behavior

• Know which healthy foods you should eat

• Control your blood pressure

• Improve your health overall

• Manage your blood sugar

• Lower your cholesterol

Are You In Pain? You Are Not Alone

Submitted by Kensington Pharmacy

You don’t need to live with constant pain. Although chronic pain rarely goes away completely, your health care team has many options to make your pain more bearable.

No Gain From Pain

When it comes to pain, some people believe that they should “grin and bear it.” Others feel that their health care team isn’t interested in their pain.

In truth, poorly managed pain is bad for your health and can lead to other problems.

• Pain causes harmful changes to your body.

• Untreated pain can lead to anger, irritability, depression, and poor sleep. It can make the quality of your life worse.

• Persistent pain affects your relationships with family and friends, and your ability to do your job.

The longer you wait to address

your pain, the more difficult it becomes to treat. Your first step is to find a health care team that can help you. Finding the Right Healthcare Team For You

Not all health care providers are well trained to assess and treat pain. Others may have personal biases against treating pain.

To find a treatment that works, you may need to interview several health care providers. Look for people who:

• Believe your reports of pain. (Don’t work with anyone who tells you “it’s all in your head.”)

• Have experience treating pain.

• Thoroughly explain to you the risks and benefits of various treatments.

• Listen to your questions and make sure you understand their answers.

• Regularly assess your pain and monitor your progress.

• Refer you to a specialist if you are not getting adequate relief.

Please see “Are You In Pain?,” page 61

• Prescription Refills via On-line or Phone 24 hours a day

• Blisterpacking For Assisted Living Facilities

Zeynep At Kensington Pharmacy, in addition to having your prescriptions filled with speed and accuracy, you will experience one of the best services and notice the difference.

With 14 employees, Kensington Pharmacy gives a special attention to each customer that they deserve. Stop by and experience the difference.

• Flu Shots, Shingles and Pneumavac Vaccines

• Prescription Plans including Medicare Part-D and Part-B, CVS-Caremark

• Transfer Of Your Prescriptions

• Compounding Specialists

• Wide Vitamin Selection

• BOIRON Homeopathic Remedies

• Greeting Cards, Select Books and Gifts

• Wide Home Health Care Selection Wheelchairs, Canes, Walkers, Medical Legsupport, Arthritis and Sport Aids, Bath Aids

• Toys and Books for Children

• And More

301-805-6805 page 42 | Your HEALTH Magazine 1300 Mercantile Lane, Suite #129-37, Largo, MD 20774 www.GHNutritionServices.com Good Health NUTRITION SERVICES LLC Take Charge of Your HEALTH! Call Today! 301-341-4680
KENSINGTON PHARMACY From Our Family To Yours Owned by a local family of pharmacists The Tunc Family: From Left: Melike, Pinar, Huseyin
and
301-933-6165 3737 University Blvd W., Kensington, Maryland 20895 http://kensingtonrx.com/ email: mypharmacist@kensingtonrx.com OPEN HOURS: Mon-Fri 8a-6p Sat 9a-4p, Sun Closed Free Prescription Delivery
Kensington Pharmacy Offers
Maryland Edition | page 43 www.YourHEALTHMagazine.net

Optimum Health for Life

Your Wellness Partner For Life

Columbia, MD | 301-802-7745 | Lpenkala96@gmail.com

Feel your best self within the safe space of relaxation, allowing stress to melt away! Breath in calming essential oils to reset and realign your body, mind, soul connection.

Linda Penkala, Author, LMT, Holistic Healthcare Presenter, and Wellness Catalyst shares her passion and heart for holistic lifestyle choices through:

• Presentations

• Massage Therapy

• Aromatherapy

• Wellness Articles

• Breathwork for Healing

• Her book, The Pause to Relax Ladies for Robust Heart Health

CORPORATE OR COMMUNITY PRESENTATIONS:

• Wise Self Care for Life

• Nine Pillars to Prevent Heart Disease

• Wise Heart Health for Women

• Navigating New Waters of Wellness

• Tapping with Essential Oils for Health

LIVE ZOOM PRESENTATIONS

• Mindful Meditation Massage (at night, pre-sleep)

• Mindful Massage and Stretching (at desk)

• Aromatherapy 101

• Essential Oils and Your Pet

• Wise Self Care for Life

• Wise Heart Health for Women

https://lifewave.com/lpenkala • Visit our new website! www.lindapenkala.com

@pausetorelax

Optimum Health for Life

The Pause to Relax

Linda Penkala

Remedies For Pain From Centuries Old, To Cutting Edge Wellness Technology

Pain is the leading cause of disability in the U.S., followed by depression and anxiety. The Global Burden of Disease Study in 2016 reveals the dominance of pain as the leading cause of disability globally. It is relevant to look to the past and current wellness technologies to address pain.

Historic Methods Of Holistic Pain Relief

Aromatherapy is a centuries-old

effective modality and humanity’s first medicine. Oils are distilled from plants, flowers, trees, or leaves and applied topically to relieve pain. Essential oils such as helichrysum, peppermint, frankincense, and palo santo are powerful anti-pain oils. If you are curious about essential oils, visit http://oily.life/wealthofhealth for a free e-book.

Acupuncture is known for pain relief and restores qi or energy to blocked meridians and tissue to facilitate healing. It is well known for headache relief.

Breathwork is known to have a profound impact on the body’s ability to restore calm and lessen pain. Here are a few techniques:

Box Breathing – Taught in the Navy Seal’s training for focus, calm and clarity. Inhale for a count of 4, pause for a count of 4, exhale for a count of 4, pause for a count of 4. Please see “Remedies For Pain,” page 62

LGBTQ+ Parenting Challenges

By Empowered Connections, LLC

If your child identifies as LGBTQ+, things will likely play out differently for them than you might have expected. In a society teeming with division and strife, you may worry for your LGBTQ+ child. That’s okay, as long as you don’t allow such fears to limit all your child can be.

A Few Reasons Why Being an LGBTQIA+ Parent Is Challenging

1. Concerns Related to School

– At home, you can be an active, positive presence. But when your child goes to school, they have to rely on their own resources. Like all students, they have academics, athletics, and a social life to tend to. However, an LGBTQ+ student may face situations that others don’t have to prepare for. As their parents, you’ll want to:

• Keep an eye out for signs of bullying

• Stay in contact with their teachers and administrators

• Remain aware of changes in your child’s life, e.g., declining grades,

social withdrawal, or suddenly moving with a new crowd

• Advocate for the school to be inclusive and preemptive

• Find a healthy balance of being involved but giving your child room to grow, learn, and develop important skills

2. The Influence of Social Media – For an LGBTQ+ child, the internet can sometimes be the only place they find acceptance. At the same time, social media is overrun with risky disinformation and peer pressure. It’s vital that a young person can formulate their own opinions and perspectives without being either bullied or unduly influenced to live a certain way.

3. Coming Out – You can offer advice if that input is requested. Otherwise, it’s up to your child if and when they opt to come out. Young people are vulnerable to behaving in a way that increases their social credit. So, all you can do is be available to talk and available to offer support when needed.

Please see “LGBTQ+ Parent,” page 62

301-805-6805 page 44 | Your HEALTH Magazine
Maryland Edition | page 45 www.YourHEALTHMagazine.net Area’s Largest Gluten-Free Selection Natural Foods • 100% Organic Produce Diet & Nutrition • Vitamins & Supplements NEW YOU FOR THE SUMMER $599/lb. raw walnut halves reg. $6.99/lb.• limit 5 lbs David’s Natural Market • Gambrills • 410-987-1533 With this coupon. Not valid with other offers. Offer expires 06/30/24 $799/lb. mixed nuts reg. $9.95/lb.• limit 5 lbs David’s Natural Market • Gambrills • 410-987-1533 With this coupon. Not valid with other offers. Offer expires 06/30/24 20%off shampoo, body lotion, & other beauty products excludes sale items David’s Natural Market • Gambrills • 410-987-1533 With this coupon. Not valid with other offers. Offer expires 06/30/24 10%off equal exchange bulk coffee David’s Natural Market • Gambrills • 410-987-1533 With this coupon. Not valid with other offers. Offer expires 06/30/24 20%off vitamins, herbal remedies & homeopathic supplements excludes sale items David’s Natural Market • Gambrills • 410-987-1533 With this coupon. Not valid with other offers. Offer expires 06/30/24 www.davidsnaturalmarket.com 871 Annapolis Road, Gambrills (Route 175) • 410-987-1533 Store Hours: Mon.-Fri. 8-8 • Sat. 9-7 • Sun. 10-7 CBD Products Elderberry Supplements IMMUNE BOOSTING! 10%off produce David’s Natural Market • Gambrills • 410-987-1533 With this coupon. Not valid with other offers. Offer expires 06/30/24 Fresh, Local, Certified, Organic Produce Best Natural Market For 23 Years

Orthodontics for Adults & Children

We Specialize in: Damon Braces, Damon Clear, Invisalign, Invisalign Teen, Clear Aligner Therapy, STb (Lingual Braces), Insignia, Early treatment & growth modifications, and Minor Tooth movement for periodontal patients.

301-587-8750

301-587-8750

8737 Colesville Road, Suite #301 • Silver Spring, MD 20910 www.smileconstructors.com • info@smileconstructors.com

8737 Colesville Road, Suite #301 • Silver Spring, MD 20910 www.smileconstructors.com • info@smileconstructors.com

400 Potomac

Street

A psychiatric rehabilitation program offering a day component, residential, vocational and in-home support services.

Let us show you how to move from the solitude of symptoms to the freedom of achievement.

NOW OFFERING: Wellness and Recovery Community Center - This is a program that provides support from peers for both mental health and substance use disorders for people actively working on their recovery.

DReM’s Legacy Holistic Wellness Center

(located inside of Hol-Body Yoga Studio)

Family Wellness Services

• Natural and Herbal Remedy Consults

• Family Planning

• Childbirth Education

• Natural Healing Education

Women’s Health/Womb Wellness

• Birth/Postpartum Doula Services

• Fertility Support

• Womb Meditation

• Womb Massage

• Vaginal/Yoni Steams

Spiritual and Mental Wellness

• Etheric Touch Sessions

• Reiki Sessions

Coming Soon:

• House Blessings

• Divinations

• Doula Training begins January 2024 for In Person Classes

Shirleta Henson McKann 410-265-9393

319 Crain Highway, S. Glen Burnie, MD 21061

Walk-In Hours Every Tuesday 4pm-7pm

Facebook: DReM’s Legacy Holistic Wellness Center

Instagram: @drems.legacy.holistic.wellness

Can You Benefit From Braces?

Your smile is the key to self esteem and confidence. Your mouth or smile sends messages to everyone you meet, good or bad. People often base first impressions about individuals solely on the condition of their teeth. This phenomenon was documented more than 30 years ago in a

study published in 1981. When the focus groups looked at the altered photos, unflattering terms such as “unattractive” and “aggressive” were used. However, when groups saw photos of the same individuals with a healthy, beautiful smile, they were more likely to view the individuals as “intelligent,” “attractive” and “a friend I’d like to have.” Today’s image-obsessed world makes these results more accurate. More than ever, young people and adults want to be perceived as healthy, attractive and appealing to their peers and others. The first thing that people notice about young and adult patients is confidence and sense of self-esteem that comes with their healthy, beautiful smiles. An orthodontic check-up no later than age seven can identify potential

Please see “Braces,” page 61

The Impact Of Mental Illness

The impact on people diagnosed with a serious mental illness is devastating. The devastation often is shared by family and friends.

Impairment refers to the impact physically and psychologically. There is increasing evidence that there is a neurobiological aspect to severe mental illness. Whether the source is genetic, viral, or a combination of factors, it results in physical and psychological symptoms such as hallucinations, delusions, paranoia. Symptoms may be influenced by the other areas and the psychological structure of the person.

People experiencing impairment and its symptoms often explain it as a loss or disruption of self. There is a disconnectedness to who you are. How to rebuild the sense of self is fundamental. Recovery requires building a functional sense of self

that supports needs, wants, aspirations, and confronts the effects of stigma. Other interventions include coping strategies and satisfying social relationships.

Dysfunction addresses the inability to carry out the activities of life considered normal to us as human beings. Tasks such as walking, thinking, or making a meal may be difficult. The cause may be the symptoms previously mentioned, medication side effects or lack of confidence resulting from the disruption of self or stigma. Skills training, support, and rehabilitation improve the levels of dysfunction. As any of these areas of impact improve, the other areas appear to improve as well.

Disability implies a broader concept than dysfunction and limits the ability to perform larger life roles such as working, having a family, and maintaining an apartment. Successful rehabilitation in other areas will also effect the disability in a positive manner. Disadvantage refers to the lack of opportunity to make a life for one’s self. The cause is often stigma, discrimination, and poverty. Normally, disadvantage comes from outside the person, from a society’s biases and perceptions. It further erodes the fragile sense of self that has been effected by impairment, dysfunction, and disability. Advocacy and education that can influence feelings and beliefs help to reduce disadvantage.

301-805-6805 page 46 | Your HEALTH Magazine
For
Beautiful Smile? Call
Longing
A
for a Complimentary Consultation
PO Box 939, La Plata, MD • 301-932-2737 • 301-870-3969 • Fax 301-932-2803

Back pain is the second most common reason people visit physicians in the US, with neck pain close behind. The spine and adjacent tissues are pivotal in nearly all major bodily movements.

Chiropractic services are used most often to treat neuromusculoskeletal complaints, including but no limited to back pain, neck pain, pain in the joints of the arms or legs, and headaches.

Drug and Alcohol Testing also Available.

Since opening in 2003, Winters Chiropractic & Physical Therapy has remained dedicated to providing expert chiropractic, physical therapy, and DOT/CDL services. Our doctors provide tailored treatments that ensure you make the most gains at a comfortable, steady pace. The ultimate goal of any chiropractic or physical therapy program is to restore your physical health to its previous form. With our small practice, we have the advantage of maintaining personal relationships without compromising our ability to provide advance care.

Maryland Edition | page 47 www.YourHEALTHMagazine.net Choose from one of our two convenient locations. www.docwinters.com Charlotte Hall 29770 Three Notch Road Ph: 301-884-3423 Monday-Thursday 10AM-7PM Friday 9:30AM-5PM La Plata 101 Centennial Street, Suite A Ph: 301-934-9762 Monday-Thursday 10AM-7PM Friday 9:30AM-5PM
DOT/CDL Physicals $120 Our Doctors are Nationally FMSCA Certified. Done by appointments only. Call today to schedule!

Wholelife Acupuncture & Fitness Center

Quansheng Lu, CMD, PhD, L.Ac www.wholelifeherb.com • luquansheng@gmail.com 301-340-1066 • fax: 301-340-1090

Guest professor, Henan University of Traditional Chinese Medicine (TCM) Chief TCM Physician, WFCMS; M.S. in TCM, Beijing University of TCM PhD in integrated medicine, China Academy of Chinese Medical Sciences Fellowship, Georgetown University & Children’s National Medical Center 3 patents, 8 books of TCM, 30 papers, 30+ years of experience in TCM

Low back pain • eczema • arthritis • allergies

416 Hungerford Drive, #300 Rockville, MD 20850 5022 Dorsey Hall Drive, #101 Ellicott City, MD 21042

OASIS WOMEN’S CENTER

AT OASIS WOMEN’S CENTER, OUR MISSION IS TO IMPROVE LIVES THROUGH EDUCATION, PERSONALIZED MEDICINE AND ADVANCED SURGICAL OPTIONS

• Minimally Invasive Surgery

• General GYN

• Cancer Risk Assessment

• Contraception

• Menopausal Medicine

• Adolescent Care

Chinese Acupuncture For Shoulder Pain

Center

More than 3,000 years ago, the origins of Chinese acupuncture took root, becoming an integral aspect of traditional Chinese medicine (TCM). This therapeutic practice involves the insertion of fine needles into specific points on the skin to promote healing. By targeting these points, acupuncture aims to restore the flow of energy along the body’s meridians, which, ac-

cording to theory, becomes obstructed, leading to discomfort.

Shoulder pain ranks among the most prevalent symptoms, stemming from various common causes such as tendon inflammation, adhesive capsulitis, instability, arthritis, and fractures. While less frequent, shoulder pain can also result from tumors, infections, or nerve-related issues.

Does Acupuncture Alleviate Shoulder Pain?

Research from June 2009, conducted at Johns Hopkins Bayview Medical Center, examined the efficacy of acupuncture in managing shoulder pain. In a single-blind randomized trial, adults experiencing shoulder pain for at least eight weeks due to osteoarthritis or rotator cuff tendonitis were assessed. Thirty-one participants were divided into three treatment groups: individualized acupuncture based on

Please see “Shoulder Pain,” page 62

Fire Cupping For Natural Pain Relief

Fire cupping, a Traditional Chinese Medicine practice, has gained popularity due to its potential to alleviate pain and promote overall well-being. This non-invasive therapy involves placing glass or ceramic cups on the skin to create a vacuum and stimulate blood flow, release muscle tension, and balance qi (energy) within the body. Here are reasons why fire cupping is worth considering for pain relief.

Non-invasive: Fire cupping is an attractive option for those seek-

ing pain relief without medications or invasive procedures. The cups help reduce inflammation, alleviate muscle tension, and promote healing, making it beneficial for chronic pain conditions such as lower back pain, neck pain, or joint pain.

Boosts Circulation: The suction effect encourages increased blood flow, aiding in the healing process, delivering nutrients, removing waste products, and toxins. Improved circulation can also help reduce muscle soreness and stiffness, leading to enhanced mobility and flexibility.

Balances Qi: Fire cupping restores the proper flow of energy and alleviates pain associated with imbalances. By stimulating specific acupoints or meridians, it helps to balance the flow of qi, promoting overall health and well-being.

Promotes Relaxation: The gentle suction and warmth of the cups can create a soothing sensation, relieving stress and tension held within the body. This relaxation response can aid

Please see “Fire Cupping,” page 66

301-805-6805 page 48 | Your HEALTH Magazine
ADVANCED
CARE
GYN SURGICAL
Offering same day
day appointments. Request a consultation with Dr.
Schedule an Appointment Today
240-616-3934 | owcmd.com 7501 Greenway Center Drive, Suite #410, Greenbelt, MD 20770 15005 Shady Grove Road, Suite #220, Rockville, MD 20850 Ashley Pimperl MSN, CRNP FNP-C Nurse Practitioner and GYN Specialist
Our Services Include:
or next
Baxi.
|
• cough • insomnia • paralysis obesity • nephritis • hepatitis • infertility • PMS • side effects of cancer treatment
Maryland Edition | page 49 www.YourHEALTHMagazine.net A rechargeable hearing device for morning news to late night tv 410-672-1233 2654 Brandermill Boulevard Gambrills 410-672-1244 479 Jumpers Hole Road, Suite #203A Severna Park 410-956-2555 9 Lee Airpark Drive, Suite #500B Edgewater
301-805-6805 page 50 | Your HEALTH Magazine Takoma Park Office: 7513 New Hampshire Avenue Takoma Park, MD 20912 301-434-0075 Tues.-Fri. 10am-6pm; Sat. 8am-2pm Rockville Office: 12250 Rockville Pike, Suite #208 Rockville, MD 20852 301-603-2811 Mon., Wed., Thurs., & Fri. 11am -7pm Chevy Chase Office: 5530 Wisconsin Avenue, Suite #800 Chevy Chase, MD 20815 240-750-3635 Call For Opening Days and Hours Fairfax Office: 8505 Arlington Boulevard Suite # 270 , Fairfax, VA 22031 NOW OPEN! LOSE WEIGHT MD Visit Our Website: www.JustLoseWeightMD.com www.JustLoseWeightMD.com Easy Ways To Lose Weight Why We Are Unique • Customized Plans • Affordable • No Contracts • No Hidden Fees • Programs Run By Doctors • Long-term Weight Loss • Feel & Look Younger • FDA Approved Medications • Control Appetite • Eliminate Cravings • Burn Fat • More Energy
We Are
Lose Weight MD is a multifaceted weight loss center providing a comprehensive medical weight loss programs designed to assist patients in losing significant amounts of weight quickly and safely. Besides helping our patients lose pounds, we also provide them the support, education and resources that are necessary to maintain a healthy weight for the rest of their lives. We are all about getting healthy and staying healthy! Easy Ways To Lose Weight Our Services PLUS IV HYDRATION & VITAMIN THERAPY OPTIMAL WELLNESS IV THERAPY INFUSION • Brain Fog/Mental Clarity • Glowing Skin/Acne • Energy/Get Up and Go • Detox/Meyer’s • Immune Boost/Migraine Relief • IBS • High Dose Vitamin C • Quench/Hydration • Super Immune/Post COVID EFFORTLESSLY CHANGE YOUR WAISTLINE BODY CONTOURING PERMANENT – NON-SURGICAL FAT REMOVAL NO DOWNTIME Here are some of our Weight Loss Medications: Appetite Suppressants – Semaglutide – Ozempic – HCG – Mega Injections B12 Complex Injections – Lipo Fat Burner Injections – B5 Injections Please check our website for individual plans! Mention YourHEALTH Magazine and get 10% off all Initial Plans
Who
Just

Studio 5 Hair Gallery Specializing in Restoring & Enhancing Your Hair’s Natural Beauty

Located in scenic Southern Maryland, Studio 5 Hair Gallery is well known in the medical community for customized solutions for hair loss. We provide the finest synthetic and human hair wigs, hair extensions, and top-of-the-head hairpieces. For over 12 years, Studio 5 Hair Gallery has served its clients with compassion and excellence. call 301.884.3553 for your appointment today! Please mention this Flier when setting up your appointment.

& Women’s Hair Systems • Extensions

Studio 5 Hair Gallery hair replacement specialists are empathetic to your needs at this difficult time and will do everything possible to make you feel comfortable.

Maryland Edition | page 51 www.YourHEALTHMagazine.net HAIR GALLERY 301.884.3553 • Studio5Salon.com Solutions for Thinning Hair and Hair Loss for Men, Women and Children 301.884.3553 • Studio5Salon.com
treatment
due to alopecia, hormonal or trichotillomania,
solutions
Whether your hair loss is temporary, due to medical
or long-term
we have a wide variety of
Services Provided
Medical
Genetic Hair Loss
Integration Systems
Non-Surgical Solutions for Thinning Hair and Hair Loss of Women, Men and Children. 30051 Point Lookout Road, Mechanicsville, MD 20659 Private Rooms Are Available For Your Convenience
for
&
Wigs/Full Lace Wigs •
Custom Cranial Prosthesis • Lace Front Units Men’s
GWEN BEVERLY Owner, Medical Hair Loss Specialist

COPD

When Is It Time To Choose Hospice Care?

Diseases related to chronic obstructive pulmonary disease, or COPD, make up the fourth highest cause of death in the United States. Yet less than 10% of hospice care includes COPD patients. To understand why more don’t take advantage of hospice’s compassionate end-of-life care, we need to take a closer look at this disease.

COPD is a group of diseases that cause inflammation in the airways and

the lungs. The alveoli, or air sacs, collapse and the bronchial tubes stiffen. Inhaling and exhaling is like drinking a thick milkshake through a small straw.

Though the disease is uncurable, with medical and respiratory therapy people can live with COPD for decades. Changes are slow and subtle, so they get accustomed to each stage of decreased abilities. Where once they could climb steps, they need a cane. Where once they could get out of bed without assistance, they need a walker.

Patients can continue in this stepdown trajectory of managing flare-ups for years. They may not notice they have become less able to recover from each incident. One day, the medical and respiratory therapies that once helped become less effective. This, the fourth stage, comes with chronic fatigue, intractable cough, and often lung infections. It’s no longer a stepdown trajectory. It is a continuous and often rapid decline.

Please see “COPD,” page 62

Empowering Your Fertility Journey A Personalized Pretest Initiative

Accessible Through Your Primary Doctor

As a fertility specialist committed to making the fertility journey more accessible, I am excited to introduce a groundbreaking initiative that empowers individuals and couples right from the start. Our comprehensive Pretest Initiative is designed to be seamlessly integrated into your healthcare routine, with specific tests that can be con-

ducted by your primary doctor before your initial fertility consultation. In this article post, I will unveil the tests included in our initiative, emphasizing their accessibility through your trusted primary care provider.

The Pretest Initiative: Tests Conducted By Your Primary Doctor

Ovarian Reserve Testing:

• Anti-Mullerian Hormone (AMH) Test: Measures ovarian reserve and can be easily performed by your primary doctor during a routine blood test.

• Follicle-Stimulating Hormone (FSH) Test: Assess ovarian function with a simple blood test, often available through your primary care provider.

Hormonal Profiling:

• Thyroid Function Tests: Evaluate the impact of the thyroid on fertility through blood tests, a routine examination that your primary doctor can facilitate.

• Prolactin Levels: Measure prolactin levels with a straightforward blood test, typically part of routine hormonal assessments done by primary care providers.

• Genetic Carrier Screening: Identify potential genetic disorders through a blood test, often offered by primary care providers as part of routine genetic screenings. Most patients are unaware that they may be carriers of genetic conditions that they may pass on to their children.

Male Fertility Testing:

• Semen Analysis: Evaluate male fertility potential through a semen analysis, a test your primary care provider can order for you. An abnormal semen analysis may also be the first sign of more serious underlying health issues.

• Infectious Disease Screening, STD Testing: Ensure the absence of sexually transmitted infections with routine testing, a service readily provided by primary care doctors during check-ups. Tests for HIV antibody, Hepatitis B antigen, Hepatitis C antibody, and a syphilis screen can be obtained from your local health department.

Please see “Fertility Journey,” page 65

301-805-6805 page 52 | Your HEALTH Magazine

Epidural Steroid Injections For Low Back Pain and Sciatica

Lumbar radiculopathy, commonly known as sciatica, can be a debilitating condition characterized by pain, numbness, or weakness radiating along the sciatic nerve pathway. Among the arsenal of treatments available, epidural steroid injections (ESIs) have emerged as a valuable tool in managing this condition, providing relief and improving

function for many patients.

ESIs are minimally invasive procedures in which corticosteroids, powerful anti-inflammatory agents, are injected directly into the epidural space surrounding the spinal nerves. This targeted delivery allows for a concentrated dose of medication to reach the affected area, reducing inflammation and alleviating symptoms associated with lumbar radiculopathy.

One of the primary benefits of ESIs is their ability to provide both short-term and long-term relief from pain and discomfort. While the immediate effects of the steroid injection may last for several days to weeks, the cumulative anti-inflammatory effect can lead to prolonged relief, allowing patients to participate in physical ther-

Please see “Low Back Pain,” page 62

Treatments We Provide

• Spinal Cord Stimulation (SCS)

• Epidural Steroid Injections

• Facet Joint Injections

• Radiofrequency Ablation

• Medial Branch Blocks

• Sacroiliac Joint Injections

• Kyphoplasty

• Selective Nerve Root Blocks

• Sympathetic blocks

Therapies

• Celiac Plexus Blocks

• Joint Injections

• Peripheral Nerve Stimulation

• Minimally Invasive Lumbar Decompression (MILD)

Maryland Edition | page 53 www.YourHEALTHMagazine.net 3202 Tower Oaks Blvd, Suite 370 Rockville, MD 20852 | 301-946-6962 | MontgomeryFertilityCenter.com Where Science Meets Compassion Our mission is to assist our patients in creating the families of their dreams, whether it be at the present or to maintain the possibility in the future. Medical Director Dr. Famuyiwa, a double board certified fertility specialist and an advocate for personalized holistic fertility care, is at the forefront of providing state-of-the-art care based on emerging and advanced new technologies in the most compassionate of manners. 110 Hospital Road, Suite #211, Prince Frederick, MD 20678 410-656-2869 www.ChesapeakeSpineandPain.com Taking Care Of Your Pain Management
We use state of the art technologies and techniques while practicing evidence based medicine to deliver the highest level of medical care to our patients. Some of the therapies we provide are mentioned below:
Chesapeake Spine & Pain
Interventions and

Doesn't Your Child

Play Therapy and Child Development

In the vibrant world of childhood, play is not just a pastime; it’s a language, a medium through which children explore, express, and make sense of their emotions. For children grappling with mental health challenges, this language becomes even more vital. Enter play therapy, a transformative approach that harnesses the power of play to facilitate emotional healing and foster healthy development.

Play therapy offers a safe and nurturing environment where children can

freely express their thoughts, feelings, and experiences through play activities under the guidance of a trained therapist. Unlike traditional talk therapy, which may be intimidating or overwhelming for young minds, play therapy provides a developmentally appropriate avenue for children to communicate and process their inner world.

At its core, play therapy recognizes that children’s play is not merely frivolous but deeply meaningful. Through various play techniques such as storytelling, role-playing, art, and games, children can externalize their internal struggles, fears, and traumas. By engaging in play, they gain a sense of mastery and control over their experiences, empowering them to confront and navigate their emotions in a supportive therapeutic setting.

One of the key benefits of play therapy is its ability to address a wide range of mental health concerns, including anxiety, depression, trauma, behavioral disorders, and attachment issues. For example, a child strug-

Please see “Play Therapy,” page 62

Let’s Get Physical Making Physical Activity a

Part Of Your Family Life

Everyone

regular exercise. Kids who are active will:

• have stronger muscles and bones

• have a leaner body because exercise helps control body fat

• be less likely to become overweight

• decrease the risk of developing type 2 diabetes

• lower blood pressure and blood cholesterol levels

• have a better outlook on life

While enjoying the health benefits of regular exercise, kids who are physically fit sleep better. They are also better able to handle physical and emotional challenges, such as: from running to catch a bus to studying for a test.

There Are a Lot Of Ways To Get the Physical Activity You Need

Make sure your child or adolescent is doing three types of physical activity: aerobic activity, muscle strengthening and bone strengthening. To meet the guidelines for aerobic activity, basically anything counts, as long as it’s done at a moderate- or vigorous-intensity for at least 10 minutes at a time for about 60 minutes a day. Many of the physical activities fall under more than one type of activity. For example, if your child is on a basketball team and practices with their teammates daily they are not only doing vigorous-intensity aerobic activity but also bone-strengthening. It’s easy to fit each type of activity into

Please see “Get Physical,” page 65

301-805-6805 page 54 | Your HEALTH Magazine
Now acceptiNg aetNa, aNd Blue cross/care First. practiciNg iN MarylaNd siNce 2004. 703 GiddinGs Avenue suite u3, AnnApolis, Md 21401 treat health coNcerNs with acupuNture • ASTHMA • STRESS • CHRONIC FATIGUE • DEPRESSION • BACK PAIN • JOINT PAIN BrittNey de Vicq, Mac, lac www.westaNNapolisacupuNcture.coM 410-375-9716 Committed to Healing to Achieve Lasting Well-Being Loving Care Pediatrics Janet V. Johnson, MD Board Certified in Pediatrics and Adolescent Medicine Fellow of the American Academy of Pediatrics 3311 Toledo Terrace Suite C-201, Hyattsville, Maryland 20782 Mon–Fri, 9:00 am–5:00 pm | Office: (301) 403-8808 or Alt: (301) 403-1341 Iwas born and raised in Brooklyn, New masters at Long Island University in Brooklyn New York and completed my medical degree at State University of New York at Buffalo, School of Medicine in 1991. My postdoctoral training was received at Howard University/District of Columbia Hospitals combined Residency Program, Department of Pediatrics in Washington, DC completed in June 1994. I served as Chief Resident for the Department of Pediatrics, January 1994. I obtained Continuity Clinic Awards from 1991 to 1993 based on partic ipation and involvement in community clinics during my residency training. I am Licensed in Maryland, Board Certified in Pediatrics and Adolescent Medicine and a Fellow of the American Academy of Pediatrics. I have been in Private Practice for 22 years. I practice general pediatrics: examining, diagnosing and treating most of the diseases of children from birth to 21 years of age. With referral to specialists when the need arise. The practice is certified by the Prince George’s Health Department to administer Yellow Fever Vaccination. The practice provides vaccines for overseas travel to those individuals traveling out of the country and in need of an official certificate of vaccination (Yellow Book). many others, please call the office at 301403-8808 to schedule a visit. We look forward to seeing you at Loving Care Pediatrics— Janet Johnson MD and Staff. In addition, I am dedicated to volunteering my time to community outreach projects, youth groups, health fairs, various church functions and committee boards as well as for those who are less fortunate. Donating of my talents, time and treasures and giving back and serving those who are in need. I am an active member in The Prince George’s Community Advisory Group and served as the Medical Director for the Mid-Maryland Mission of Mercy two day free Dental Clinic sponsored by Catholic Charities Archdiocese of Washington in August 2013. Practice Philosophy Janet Johnson MD and Travel Health Medicine is committed to servicing its patients, parents and community by providing excellent and compassionate health care service to a culturally diverse population that promotes the dignity and well-being of the people we serve. Vision Statement Janet Johnson and Travel Health Medicine goal is to be recognized in the community it serves for compassionate patient service, and clinical excellence. To create a caring environment with a commitment to foster a work environment where individual diversity is valued and recognized, also where the Integrity: We are consistent and honest in word and deed. Commit to the highest standards of ethical conduct, respect, competence and safety. Quality: We provide service excellence in meeting client expectations. We ensure commitment to excellence for our patient and communities. Respect: We behave in a way that honors self and others. There is respect for diversity and individual differences. We embrace that diversity of individuals, ideas and expressions so as to achieve better multicultural understanding of our fellow man. Collaboration: Cultivate positive relationships while embracing diversity. Our Staff From left to right: Ama, Medical Assistant; Dr. Johnson; May, Medical Assistant. Insurances Accepted Aetna, CareFirst Blue Cross, Blue Choice, Amerigroup, Americhoice, United Health Care, Teamsters, Tricare, Maryland Medicaid, and Other Major Insurers to be recognized in the community it serves for compassionate patient service, and clinical excellence. To create a caring environment with a commitment to foster a work environment where individual diversity is valued and recognized, also where the satisfaction of all patients regardless of their background is the fundamental goal of our every action, with the practice of medicine being recognized and honored as a uniquely noble pursuit. Our Vision is Call today to make an appointment! 301-403-8808
Deserve the Best? Board Certified in Pediatrics and Adolescent Medicine by the American Academy of Pediatrics Fellow of the American Academy
Pediatrics
of
can benefit from

ADVENTIST MEDICAL GROUP

PRIMARY CARE SERVICES FOR YOU

Choose Adventist Medical Group Primary Care in Fort Washington, Maryland, to provide a full range of primary care services for adults.

Learn to better manage your health and prevent illnesses with personalized care from our experienced, primary care providers. Our specialists in family medicine and internal medicine work as a team to deliver expert care when you need:

• Same-day Sick Visits

• Women’s and Men’s Health and Wellness Exams

• Health Physicals, Health Maintenance and Preventive Care

• Geriatric (Senior) Wellness Exams

• Vaccinations and Immunizations, including Flu Shots

• Health Management for:

• Asthma and Allergies

• High Blood Pressure

• High Cholesterol

• Diabetes

• Heart Disease

You also benefit from coordinated care that helps you effectively handle all aspects of your health—from preventive medicine and preoperative appointments to management of chronic health conditions.

To schedule an appointment, please call 240-724-6018

Indian Head Highway, Suite D1 Fort Washington, Maryland 20744 AdventistMedicalGroup.org

Maryland Edition | page 55 www.YourHEALTHMagazine.net
10709
Ogechi Anyaoku, MD, MSPH (Internal Medicine) Nicole Haskins, CRNP, RN (Family Nurse Practitioner)

The Doctors You Generally See When Injured

When you are injured in an automobile accident most individuals will see an orthopedic doctor to begin treatment of their injuries. An orthopedic doctor is a specialist who primarily deals with muscles and bones of the human body. The orthopedic doctor will generally refer an injured patient to physical therapy to treat muscular type injuries. The orthopedic may also treat an individual who has a broken

bone with a type of cast, boot, or a similar device. The physical therapy can involve hot/cold treatments, stretching, electrical stimulation, traction, or other similar types of therapy. It is important for individuals who have been injured to begin physical therapy as soon as possible for the muscles to heal in a proper manner. A long delay in beginning physical therapy can also result in scar tissue forming in the muscle area. If an individual does have a broken bone, it is not unusual for the individual to also need physical therapy after the cast is removed to return the muscles to their previous function.

Another doctor that can be seen on more serious type injuries is a neurologist. A neurologist deals with the brain or other electrical function of the body including the spinal column. If an individual is injured which results in an injury to the brain or the

Please see “Injury Doctors,” page 65

Cerec Dental Technology

A smile is one of our greatest personal assets; it is a reflection of happiness and good health, yet many people avoid smiling because they are concerned about the condition of their teeth. Proper dental care is critical to preserving and, when necessary, restoring your unique smile. And now, thanks to recent innovations in dentistry, proper dental care does not have to take away from your regularly scheduled life.

The dental profession is evolving, and so should your experience. New

technology helps diagnose problems earlier, allowing dentists to treat problems sooner and with less invasive techniques. The latest in comfortable and convenient dentistry is now available with CEREC® tooth restoration system. Using the CEREC equipment, your dentist can now complete a color-matched ceramic tooth restoration – filling, crown or veneer – in a single visit. This technology uses biocompatible, tooth-colored material, so your dentition won’t be discolored by silver-colored fillings.

What Is CEREC?

CEREC is an acronym for Chairside Economical Restoration of Esthetic Ceramics. Translated, it means that a dentist can economically restore damaged teeth in a single appointment using a high-quality ceramic material that matches the natural color of other teeth. How Does The Instrument Work?

CEREC uses CAD/CAM (Computer Aided Design/Computer Aided Manufacturing) technology, incorporating a camera, computer and milling

Please see “Cerec Dental,” page 62

Injured in an Auto Accident? Let’s build your case!

301-805-6805 page 56 | Your HEALTH Magazine

Hammertoes

Pain Of the Small Toes

A hammertoe is a contracture or bending of one or both joints of any but the big toe. This bending causes the toe to appear like an upside-down V when looked at from the side. Any toe can be involved, but the condition usually affects the second through fifth toes, known as the lesser digits. Hammertoes are more common in females than males.

Symptoms

• Pain upon pressure at the top of the bent toe from footwear.

• The formation of corns on the top of the joint.

• Redness and swelling at the joint contracture.

• Restricted or painful motion of the toe joint.

• Pain in the ball of the foot at the base of the affected toe.

A hammertoe is formed due to an abnormal balance of the muscles in the toes. This abnormal balance causes increased pressures on the tendons and joints of the toe, leading to its contracture. Heredity and trauma can also lead to the formation of a hammertoe.

Arthritis is another factor, because the balance around the toe in people with arthritis is so disrupted that a hammertoe may develop. Wearing shoes that are too tight and cause the toes to squeeze can also be cause for a hammertoe to form.

What Can You Do For Relief?

• Apply a commercial, non-medicated hammertoe pad around the bony

Please see “Hammertoes,” page 65

The Ultimate Healing Restoring Body, Mind & Spirit

Energy Quantum Healing

Energy quantum healing operates on the principle that the body’s innate energy field extends beyond its physical boundaries, connecting with the Earth’s magnetic field and traversing various dimensions within the spiritual realm.

This method focuses on identifying and rectifying congested negative energy, facilitating the restoration of a harmonious flow of positive energy throughout the entire human energy system. By addressing imbalances and disturbances within this system, energy quantum healing aims to integrate the body, mind, and soul in order to foster holistic health and facilitating the healing process. Practitioners believe that resolving energy field disturbances can prevent potential physical manifestations of illness in the future.

Holistic Therapies

Meditation, sound immersion,

aura, chakra balancing and healing exert a tangible impact on the body, constituting a form of vibrational medicine that may influence heart rate, blood pressure, and brain wave patterns. Sound waves, in particular, emit vibrations that are thought to penetrate and interact with the physical body and its major systems, accessing the aura and chakra systems to alleviate spiritual blockages and alleviate tension and stress. Sessions incorporating meditation, sound immersion, and healing techniques have been shown to alleviate physical discomfort in certain individuals, as well as mitigate anxiety and depression, and address emotional imbalances and past traumas.

Keep in mind that these therapies are complementary and should be used in conjunction with conventional medical care.

Intuitive Guidance

Intuitive readings can offer an understanding of various life situations, shedding light on your life

Please see “Ultimate Healing,” page 66

Maryland Edition | page 57 www.YourHEALTHMagazine.net FOOT PROBLEMS? Ade Adetunji, DPM Largo • 301-386-5453 • Whirlpool Available • Diabetic Foot Care • Foot Exfoliation • Orthotics • Bunions, Hammertoes • Ingrown Nails • Warts Most Insurance Plans Accepted • Visa, Mastercard and Most Cards Accepted Out Patient Surgery, Ambulatory Surgical Center and Hospital Surgery Evening Appointments Available • www.AdeAdetunji.com 1450 Mercantile Lane, Suite 151 • Largo, MD 20774 www.largofoot.com • feetforlife@largofoot.com • Heel Spurs • X-Rays • PAD Test Now offering Dr. Remedy Enriched Nail Polish, a healthier alternative to traditional nail polishes. Strengthen and protect your nails against fungus, discoloration, cracking and brittleness – problems that can be caused by the chemicals found in commercial nail polish. Great for fungus nails; brittle, discolored nails; if you have an allergy to chemicals in commercial nail polish, or if you’re pregnant. Also great for children! “Gentle Dentistry At Its Best” Dr. E. Taylor Meiser, Jr., DDS, PA Retired Navy Dentist - 30 years experience We accept all PPO’s • Hablamos Español 37 Old Solomons Island Road, Annapolis www.lighthousefamilydentistry.com Call For New Patient Specials 410-224-4411
410-381-5151 7262 Cradelrock Way, South, Columbia, MD Same Day Appointments Available • Must Be 18+ Years Old A Unique Blend Of Psychic Services, Meditation Practices & Healing Services Hope to educate & inspire. Empowering a community to come together and build a more conscious world. Tarot & Intuitive Readings Soulmate Specialist Restoring Love & Creating Pathways To Your Soulmate Spiritual Healing Services Chakra & Aura Balancing / Cleansing Life Path Manifesting Crystal & Sound Healing

Don’t Let PAIN Control Your Life

• Herniated Disc

• Facet Syndrome

• Spinal Stenosis

• Osteoarthritis

• Bursitis

• Knee Pain

• Hip Pain

• Myofascial Pain

• Fibromyalgia

• Complex Regional Pain Syndrome (CRPS)

• Occipital Neuralgia

• Vertebral Compression Fractures

Visit us online for a full list and descriptions of the treatments we

INTERVENTIONAL PAIN MANAGEMENT SPECIALISTS

Madhavi Chada, MD - Triple Board Certified Physician

Glenn Dale: 240-929-6652 | Ft. Washington: 240-260-3828 | Silver Spring: 240-641-5922

12150 Annapolis Road, Ste 209, Glenn Dale, MD 20769 10709 Indian Head Hwy, MD-210, Suite D, Fort Washington, MD 20744 11233 Lockwood Drive, Silver Spring, MD 20901

• Severe fatigue

• Low sex drive

• Difficulty losing weight

• Depression, mood swings

• Joint and muscle pain

• Headaches

• Dry skin, brittle nails

• Itchy scalp, hair loss

• Irregular periods, hot flashes

• PMS symptoms

• Sleep problems

• Difficulty tolerating cold

• Constipation

• Allergies

• Brain fog

• Puffiness in face & extremities

Sciatica Treatment Options

The sciatic nerve is the largest single nerve in the human body; it runs from each side of the lower spine through deep in the buttock into the back of the thigh and all the way down to the foot. It serves a vital role in connecting the spinal cord with the leg and foot muscles.

Sciatica is nerve pain from irritation of the sciatic nerve. Sciatica pain is typically felt from the low back to behind the thigh and radiating down below the knee. Treatments for sci-

atica depend on the underlying cause and the severity of the pain.

For severe or ongoing flare-ups of sciatic nerve pain, the condition may need to be treated so it does not get worse over time.

Readily available non-surgical remedies and regular exercise will go a long way toward relieving the pain most people experience.

For others, when the pain is severe or does not get better on its own, a more structured treatment approach, and possibly surgery, may be the best option for finding pain relief and preventing or minimizing future pain and/or dysfunction.

Non-surgical Treatment

For Sciatica

The goals of non-surgical sciatica treatments are to relieve pain and any neurological symptoms caused by a compressed nerve root. There is a broad range of options available for sciatica treatment. One or more of the treatments below are usually recommended

Please see “Sciatica,” page 65

Lifestyle Changes To Lower Cholesterol

If your blood cholesterol levels are not within the healthy range for your age and sex, your doctor may recommend heart-healthy lifestyle changes to help you lower or control your high blood cholesterol.

Often, changing behaviors will go a long way toward bringing your numbers into line. Some changes are eating healthy, being physically active, aiming for a healthy weight and quitting smoking

Eating a heart-healthy diet is the

first step in lowering cholesterol. That would include reducing saturated fat and trans fat. The American Heart Association recommends limiting saturated fat to 5-6% of daily calories and minimizing the amount of trans fat you eat. Decreasing your consumption of saturated fats can reduce your LDL cholesterol and eliminating trans fats, sometimes listed on food labels as “partially hydrogenated vegetable oil,” often used in margarines and store-bought cookies, crackers and cakes. Trans fats raise overall cholesterol levels. The Food and Drug Administration has banned the use of partially hydrogenated vegetable oils as of Jan. 1, 2021.

Eat foods rich in omega-3 fatty acids. Omega-3 fatty acids do not affect LDL cholesterol and have other heart-healthy benefits, including reducing blood pressure. Foods with omega-3 fatty acids include salmon, mackerel, herring, walnuts and flaxseeds.

Please see “Lifestyle Changes,” page 65

301-805-6805 page 58 | Your HEALTH Magazine
Pain Conditions We Treat:
offer. SynergySpineMD.com ABIM certified in Internal Medicine; ABA certified in Anesthesiology and Pain Medicine
Have you been tested for hypothyroidism? Are your results in the “normal” range but you’re still feeling off? Our Functional Nutrition Protocol Can Help! DO YOU SUFFER
THESE SYMPTOMS?
FROM
CALL FOR A FREE CONSULTATION 7310 GROVE ROAD, SUITE 107 FREDERICK, MD 21704 240-651-1650 • doctorlo.com Advanced Chiropractic Nutritional Healing Center Dr. Thomas Lo, DC
Maryland Edition | page 59

What were your goals at the beginning of the year? Have you met your goals? Are you moving in the right direction? Is it hard to stay on track?

Losing “stubborn fat” is hard and as you get older – it just gets harder and harder. You might go to the gym five days a week, sweat on the treadmill for an hour, and see maybe a pound or two drop in a month. Is that really worth your time?

Or... imagine going to a medical facility, laying down, spending 35 minutes relaxing, then getting up and finding out you’ve lost two inches around your waist. Which do you prefer? What if you could keep doing that and losing more and more fat until you looked like you did years ago?

If you have any interest in this and how it works when it comes to inch loss, you should stop what you’re doing and call the office for an appointment immediately. This new treatment technology uses a special laser therapy to trick your mitochondria (in your fat cells) to release their fat contents.

If you eat better, drink plenty of water, stay away from sugars, and carbohydrates, this can lead to permanent fat loss without surgery. Here’s a heads up. If you have tried liposuction in the past – you know that when you “regain the weight” it goes to different place(s) – making your body look distorted and then unfortunately, you’re back to where you started, only worse. With this technology we don’t destroy your fat cells. What we do is we simply drain the contents of the fat cells so you lose the inches and look good again.

“Lose 3.5 Inches From Your Waist, Hips or Thighs In 32 Minutes...”

(Non Invasive Body Sculpting) “Patients Lose an Average Of 3.5 Inches From Your Waist, Hips and Thighs In 32 Minutes...”

(Non Invasive Body Sculpting)

301-805-6805 page 60 | Your HEALTH Magazine • No Pain • No Surgery • No Downtime • No Dieting • No Exercise (Lose 2” on Your First Visit OR You Don’t Pay!) CALL FOR RISK-FREE APPOINTMENT! 301-472-4290 3450 Old Washington Road, Suite #103 Waldorf, MD 20602 CookandSiuMD.com Nearly 100% Financing Available
50-70% OFF!

A ll-On-FOur

surprise about the all-on-four is how quickly it can transform your life.

What’s The All-On-Four Dental Implant Procedure Like?

First, either local or general anesthesia will be administered.

Second, the dentist or surgeon will prepare your mouth for the implants, which involves removing your remaining teeth that are failing. They will then remove any diseased or infected tissue from your jaw and gums.

Next, they will insert the titanium screws into your jawbone. Most likely,

they will place two implants toward the front of your mouth and two towards the back of your mouth so the “anchors” can evenly bare the force of the denture.

After the implants have been placed, they will thoroughly clean the surgical sites and suturing all the incisions. Then you’ll be taken to a recovery room where you can relax and take time to wake up from the anesthesia.

Schedule a consultation with an All-On-Four provider. It’s the best way to find out how dental implants can change your life.

FOreFOOT Surgery

physician will then decide on the basis of your symptoms, and whether surgical treatment is appropriate.

Bunionette (Tailor’s Bunion)

A protuberance of bone at the outside of the foot behind the fifth (small) toe, the bunionette (or small bunion), is caused by a variety of conditions including heredity, faulty biomechanics (the way one walks) or trauma, to name a few. Pain is often associated with this deformity, making shoes very uncomfortable. If severe and conservative treatments fail to improve the symptoms of this condition, surgical repair may be suggested. Your podiatric physi-

FrOm pAge 20

cian will develop a surgical plan specific to the condition present.

Bone Spurs

A bone spur is an overgrowth of bone, as a result of pressure, trauma or reactive stress of a ligament or tendon. This growth can cause pain and even restrict motion of a joint, depending on its location and size. Surgical treatment and procedure is based on the size, location and symptoms of the bone spur. Your podiatric physician will determine the surgical method best suited for your condition.

Article provided by the American Podiatric Medical Association.

A re yOu I n pAI n?

When you interview healthcare providers, ask these questions:

• Do you have experience treating my condition?

• How would you describe effective pain management?

• What treatment options are available for me?

• How will you select my treatment plan?

• How much relief can I expect to receive from these treatments?

• What side effects should I look for? How can I manage them?

• What are the short-term and longterm outlooks for my condition?

Once you have found a good team, the next step is yours. Not everyone is comfortable talking about pain, but your team needs accurate information to treat you. Provide these details:

• How long you have had pain.

• Where the pain hurts the worst.

• What treatments you have tried on your own, and how they have worked for you.

new Tech

For traditional dental impressions, dentists place impression material into a tray, and the patient must bite down into it for about five minutes. This can be challenging for patients.

Taking traditional impressions is not only time-consuming, but they are goopy and may not taste pleasant, making patients uncomfortable when they have to hold the trays in place for a period of time.

With the digital scanner, the dentist can obtain a digital impression without using the traditional method, and the scanner may even

Sleep A pneA

aiming to increase the airway patency and allow better oxygen flow.

For morbidly obese individuals, weight loss has been shown to provide an effective long-term treatment for sleep apnea. Weight loss leads to a reduction of excess tissue around the airway leading to an increase in patency and better oxygen delivery to the body. Studies have shown that both medical and surgical weight loss have produced significant results in the improvement and elimination of sleep apnea.

Surgical weight loss procedures

provide better results since it is more accurate than traditional impressions. There can be more distortions with traditional impressions.

This digital tool can also be used to create bite guards for athletes or TMJ patients, as well as to track changes in a patient’s teeth over time.

Another benefit is that digital impressions also provide your dentist with the ability to compare scans from different time periods. They can overlay a present-day scan with one from the past to see how things have changed over time.

FrOm pAge 22

such as gastric bypass and sleeve gastrectomy have been shown to produce effective and sustainable weight loss which results in elimination of sleep apnea for many patients undergoing bariatric surgery (weight loss surgery). Many patients are then able to breathe better at night, have improved energy during the daytime, and are able to stop using their CPAP devices.

The results from bariatric surgery are based on using the procedures as a tool and a commitment to lifestyle changes that promote weight loss and healthy living.

F I brOmyA lgIA

FrOm pAge 42

• What makes the pain better or worse.

• How the pain feels. For example, is it sharp, dull, or achy?

• How the pain interferes with your activities, including work, dealing with family and friends, and ability to care for yourself.

Once your healthcare team understands your pain, a treatment plan is the next step. Your doctor may suggest medication. Some medications are available over-the-counter.

Others, you can only get with a prescription. Doctors rely on several families of drugs to treat pain:

• NSAIDs – used to treat mild to moderate pain and inflammation. Aspirin and ibuprofen are both NSAIDs.

• Acetaminophen – also used to treat mild to moderate pain.

• Opioids – prescribed to people who have moderate to severe pain.

In addition to medications, other treatments such as massage, physical therapy, relaxation therapy, and behavioral and psychological therapy may be helpful.

Correcting the common nutritional and hormonal deficiencies of this condition is critical. And it is important to see a physician who recognizes that the “normal” laboratory reference ranges for nutrients and hormones may not be optimal, especially for people who are struggling with their health. Optimizing thyroid, testosterone and estrogen status may go a long way to restoring health and vitality.

Gastrointestinal problems are often present and must be addressed, both to enhance nutrient absorption and to reduce inflammation and discomfort.

Bacterial and yeast overgrowth is common as are food allergies, includ-

problems in growing children and ensure that any future treatment is timed appropriately.

For adults, an orthodontic consult may reveal that cosmetic dentistry, periodontal therapy, endodontic therapy, oral surgery or prosthodontic treatments are necessary. A team approach is necessary to assure that comprehensive treatment plans are recommended. There are really

FrOm pAge 24

ing the under-recognized phenomenon of celiac disease and gluten intolerance. There are relatively simple ways to treat these issues that make a big difference for people.

And finally pain must be controlled. For many patients pain becomes a sort of vicious cycle, with pain causing muscle spasm, sleep disruption and inflammation, which only causes more pain. There are both natural and prescription methods for effectively addressing chronic pain. To sum it up, fibromyalgia is common, but once addressed can be treated effectively so people can return to having a life they love.

no conditions that can not be “treated” due to the complex nature and amount of treatment needed. In some cases, straightening malaligned teeth can treat certain conditions you may not realize are related to your teeth, such as headaches, jaw pain and digestive problems. Make an appointment with an orthodontic specialist to see how you can benefit from treatment.

Maryland Edition | page 61 www.YourHEALTHMagazine.net
FrOm pAge 16
FrOm pAge 17
FrOm pAge 46
br Ace S

3-5-8 Breathing – Inhale for a count of 3, pause for a count of 5, exhale entirely for a count of 8.

Massage Therapy – many doctors and chiropractors prescribe to patients for improved circulation, flexibility, and lessen muscle spasms, all to address pain. The relaxation component of massage is equally therapeutic and meaningful for restoration. When coupled with powerful essential oils, it is a WIN/WIN for pain relief.

Cutting Edge Technology

Phototherapy or Light Therapy has enhanced health and well-being for over 100 years. Certain light frequencies cause specific bodily changes, like sunlight stimulating the body to produce Vitamin D. A non-

transdermal drug and chemical-free patch is used as an intervention for lessening pain on acupressure points; it is the light and your body that offers healing. Having the patches at my fingertips for clients is invaluable and one effective modality for continuing pain relief.

TENS Stimulation - transcutaneous electrical nerve stimulation employs low-voltage electrical currents to relieve pain. It is a small device that delivers a current on or near your nerves to block pain. The electrical current elevates endorphins, the body’s natural pain-killing chemicals.

Embracing the past and current wellness modalities for pain can be your greatest asset for relief and robust living!

Ther A py

gling with anxiety may use dolls or puppets to act out scenarios that evoke their fears, allowing them to explore coping strategies and build resilience in a safe space.

Moreover, play therapy promotes holistic development by targeting not just symptoms but underlying emotional needs. By fostering self-awareness, empathy, and problem-solving skills, it equips children with valuable tools for navigating life’s challenges and forming healthy relationships.

Research consistently underscores the effectiveness of play thera-

py in improving children’s emotional well-being and behavioral functioning. Studies have shown that children who participate in play therapy exhibit reductions in anxiety, depression, and disruptive behaviors, along with improvements in self-esteem and social skills.

Play therapy stands as a beacon of hope for children facing mental health challenges, offering a pathway to healing, resilience, and growth. By embracing the language of play, we can unlock the untapped potential within every child and nurture a brighter, more emotionally resilient future.

lOw bAck pAI n

apy and other rehabilitative measures more effectively.

Moreover, ESIs offer a relatively low-risk treatment option compared to surgical interventions. By avoiding the need for surgery, patients can minimize the risks associated with invasive procedures, such as infection, bleeding, and prolonged recovery times. ESIs can also serve as a valuable alternative for patients who may not be suitable candidates for surgery due to underlying health conditions or other factors.

The efficacy of ESIs in treating lumbar radiculopathy has been supported by numerous clinical studies and meta-analyses. Research has demonstrated significant reductions in pain scores, improvements in functional outcomes, and enhanced quality of life for patients receiving epidural steroid injections. Furthermore, when combined with other conservative therapies such as physical therapy and oral medications, ESIs can contribute to a comprehensive treatment approach

FrOm pAge 53

that addresses both the symptoms and underlying causes of lumbar radiculopathy.

However, it’s essential to recognize that ESIs are not a one-size-fits-all solution, and outcomes can vary depending on individual patient factors and the underlying cause of the radiculopathy. Additionally, while ESIs are generally safe, they do carry some potential risks, including infection, nerve damage, and temporary increases in blood sugar levels in patients with diabetes.

In conclusion, epidural steroid injections represent a valuable therapeutic option for the management of lumbar radiculopathy, offering effective pain relief and improved functional outcomes for many patients. As with any medical intervention, it’s crucial for patients to discuss the risks and benefits with their healthcare provider and explore all available treatment options to determine the most appropriate course of action for their individual needs.

pA renT

LGBTQ+ or not, your child will find solace in knowing they can talk to you. This is a fluid process, so it’s best to demonstrate your openness in small ways every single day. Don’t pry but learn how to read their signals. Sometimes, the ideal way to start a tough conversation is by initiating it as a reference to something in the headlines.

The Role Of Therapy

If your child comes out to you, it will probably require an adjustment period for all involved. Such a time is ideal to connect with a therapist who understands what you’re going through. Your weekly sessions are where you can work through your emotions and develop new skills.

cerec denTA l

machine in one instrument. The dentist uses a special camera to take an accurate picture of the damaged tooth. This optical impression is transferred and displayed on a color computer screen, where the dentist uses CAD technology to design the restoration. Then CAM takes over and automatically creates the restoration while the patient waits. Finally, the dentist bonds the new restoration to the surface of the old tooth. The whole process takes about one hour.

What Does This Innovation Mean For a Patient?

cOpd

We believe and recommend patients in this late stage would benefit from seeking a referral to hospice care. The hospice care team supports patients wherever they call home to help manage symptoms and avoid the trauma of emergency department visits. Our team includes a physician, nurse, social worker, chaplain and certified nursing assistant and, when available, a volunteer. They are all available to care for the patient and family, physically, emotionally, psychosocially and spiritually.

The team plans goals with the patient and family that focus on what the

FrOm pAge 56

A tooth-colored restoration means no more silver fillings discoloring smiles. The filling is natural-looking, compatible with tissue in the mouth, anti-abrasive and plaque-resistant.

Dentists no longer need to create temporaries or take impressions and send them to a lab. Because of this, the traditional second visit has been eliminated.

CEREC has two decades of clinical research and documentation to support the technology. The restorations have been proven precise, safe and effective.

FrOm pAge 52

patient wants and needs. And each goal of care answers the “why.” Why give low doses of morphine to a patient? Because it helps them to breathe and is an excellent cough suppressant. Why suggest turning a fan on a patient experiencing shortness of breath? Because it stimulates receptors in a facial nerve that help relieve the feeling of breathlessness.

Choosing hospice care earlier rather than later can help the patient avoid hospitalizations, dealing with complicated medications and traveling to frequent doctor’s visits. It is not giving up on life. It’s choosing a team of experts focused on your quality of your life.

ShOulder pAI n

TCM principles, standardized acupuncture targeting typical shoulder pain points, and sham acupuncture without needle penetration.

Following six weeks of treatment, improvements in the total Shoulder Pain and Disability Index (SPADI) scores were observed across all groups. However, clinically significant changes were only evident in the first two groups. Consequently, acupuncture emerges as a potentially effective therapy for chronic shoulder pain.

Why Does Acupuncture Sometimes Fail To Yield Results?

The practice of traditional Chinese medicine, encompassing acu -

puncture and herbal remedies, is intricate and requires extensive training. Optimal treatment outcomes hinge on identifying the correct acupuncture point formula and precise point locations. Without this precision, acupuncture may not deliver desired results. Is Acupuncture Safe?

Overall, acupuncture is considered a safe treatment option. Potential side effects include dizziness, localized bleeding, dermatitis, nerve injury, or increased pain, particularly in cases where practitioners lack adequate training. Therefore, the expertise of a welltrained and experienced acupuncturist is crucial for both efficacy and safety.

301-805-6805 page 62 | Your HEALTH Magazine
r emedI
n FrOm pAge 44
e S FOr pAI
lgbTQ+
FrOm pAge 44
FrOm pAge 48
p lAy
FrOm pAge 54
Maryland Edition | page 63 www.YourHEALTHMagazine.net

HEALTH DIRECTORY

ACUPUNCTURE

Eastern Medical Holistic Healing Center

– Angel Wood – 240-755-5925 – www. Acupuncture4Wellness.Webs.com.

West Annapolis Acupuncture –Brittney de Vicq, LAc, MAc – 410375-9716 – BrittneyAcupuncture.com – Annapolis, MD.

CHINESE MEDICINE & ACUPUNCTURE

Quansheng Lu, CMD, PhD, LAc – www. WholelifeHerb.com – 301-340-1066.

CHIROPRACTIC

Kovach Chiropractic & Wellness Center – Alicia Kovach, DC – 410697-3566.

Effective Integrative Healthcare –Millersville 410-729-2200 – Lanham 301-577-6556.

DENTISTRY

Cosmetic Dental FX – Judy Yu, DMD, MBA – 410-360-0440 – www.DentalFXMD.com – Pasadena, MD.

Lighthouse Family Dentistry –E. Taylor Meiser, DDS – 410-224 4411 – Annapolis, MD.

Karl A. Smith, DDS – Waldorf, MD –301-638 -4867.

DERMATOLOGY

Hema A. Sundaram, MD – Dermatology, Cosmetic & Laser Surgery – 11119 Rockville Pike, Suite #205, Rockville – 301-984-3376 – Also in Fairfax, VA.

EYE CARE

McNelly Optical, Inc. – 410-263-2692 – www.McNellyOptical.com – Annapolis, MD.

FERTILITY

Montgomery Women’s Fertility Center – 301-946-6962 – MontgomeryFertilityCenter.com – Rockville, MD.

HEALTH AND WELLNESS

Counteract the Fat: A cutting-edge scientific approach to cholesterol control, weight control and disease prevention with less dietary restriction. How scientific studies have shown that fiber and antioxidants can counteract the physiological effects of junk food. Discover more by reading the press release article published at https://www.prweb.com/releases/acutting-edge-scientific-approach-tocholesterol-control-weight-controland-disease-prevention-with-lessdietary-restriction-302132509.html

HEALTH AND WELLNESS

Taylored 4 Life Wellness, Inc. – Gregory Taylor, MS – 301-979-9010 – Taylored4LifeWellness.com – Largo, MD.

HOME CARE

At Home Care, Inc. – 301-421-0200 – AtHomeCareInc.com – Since 1977.

HORMONES

New Day Vitality Hormone Center – 410-793-5212 – Arnold, MD and Easton, MD – NewDayVitality.com.

HYPNOSIS

Toni’s Happy Hour Yoga and Holistic Wellness Center – 301-449-8664.

INTEGRATIVE MEDICINE

Alan Weiss, MD, Annapolis Integrative Medicine – 410-266-3613 – 1616 Forest Drive, Suite #3, Annapolis, MD 21403.

Taylor Integrative Health – Janay Taylor – 410-292-0483.

MEDICAL SPA

Luminox Healthcare Services – 240553-7970 – LuminoxHealth.com.

Millennium MediSpa – 301-652-9005 –www.AnythingCosmetic.com.

MEDICAL SPACE

Charles L. Feitel Company – 301-5719333 – www.MedicalandDentalSpace. com.

MENTAL HEALTH SERVICES

Charles Co. Freedom Landing, Inc. –301-932-2737 or 301-870-3969.

House Calls, LLC – 301-346-6732 –CallingOnBeth@gmail.com – www. CallingOnBeth.net.

MRI

Washington Open MRI, Inc. – 6 Locations: 15005 Shady Grove Road, Suite #110, Rockville, MD 20850; 7399 Hanover Parkway, Greenbelt, MD 20770; 6196 Oxon Hill Road, Suite #110, Oxon Hill, MD 20745; 5530 Wisconsin Avenue, Suite #529, Chevy Chase, MD 20815; 9135 Piscataway Road, Suite #106, Clinton, MD 20735; 25 Crossroads Drive, Suite #180, Owings Mills, MD 21117 – www.WashingtonOpenMRI.com – 301-908-8279.

NEUROLOGY

Charles C. Reel, MD – Maryland Gait and Balance Disorder Center – Charlotte Hall, MD – 301-290-0395.

CHOOSE SKIN HEALTH: DR. HEMA SUNDARAM

NUTRITION

Nutritional Healing Center – Thomas K. Lo, DC, MA – 240-651-1650 – 7310 Grove Road, Suite #107, Frederick, MD 21704 – DoctorLo.com

ORTHODONTICS

Jacqueline Brown Bryant DDS, MS, PC – Damon, Clear Braces & Invisalign for Adults And Children – Silver Spring, MD 20910 – www.SmileConstructors.com – 301-587-8750.

PAIN MANAGEMENT

Georgetown Pain Management –Netsere Tesfayohannes, MD, ABA, ABAP – 301-718-1082 – Bethesda, MD – Greenbelt, MD.

Metropolitan Pain & Spine – Dr. Levi Pearson, III, MD, MBA – 9501 Old Annapolis Road, Suite #305, Ellicott City, MD 21042 – www. MetropolitanSpine.com – 410772-6312.

Newbridge Spine and Pain Center – 301-638-4400 – www.NewbridgeSpine. com.

Pain & Rehab Center, LLC – Dr. Gelareh Naenifard, DC – 5855 Allentown Road, Suite #19, Suitland, MD 20746 –www.PainRehabCenterMD.com – 301-925-2013.

PODIATRY

Bowie Foot Care – Howard Horowitz, DPM – 301-464-5900.

Largo Foot and Ankle Health Center – Ade Adetunji, DPM – 301 386 5453.

PRIMARY CARE

Loving Care – Janet Johnson, MD –Hyattsville, MD – 301-403-8808.

PROSTHETICS

Metro Prosthetics – 301-459-0999 –www.MetroProsthetics.com

SENIOR CARE

Chevy Chase Home Care. Help at a time you need it most. Any Ages. Any situations. Any shifts. MD, DC, VA – www.CHCHHomeCare.com –202-374-1240.

SENIOR CARE

St. Mary’s Nursing & Rehabilitation Center – 301-475-8000 – Leonardtown, MD – www.StMarysNursingCenter. com.

VETERANS

Charlotte Hall Veterans Home – Waldorf, MD – 301-884-8171 – https:// veterans.maryland.gov/marylands-department-of-veterans-affairs-charlottehall-veterans-home/.

WEIGHT LOSS

The Bariatric and Hernia Institute – Dr. Etwar McBean – Greenbelt, MD and Silver Spring, MD – 240-206-8506 –www.TBHInstitute.com.

YOGA

Toni’s Happy Hour Yoga and Holistic Wellness Center – Temple Hills, MD –Toni Greene, Owner – 301-449-8664.

301-805-6805 page 64 | Your HEALTH Magazine HowardCounty-Catonsville ion age www.YourHEALTHMagazine.net Directory of HealtH Professionals CUPUNCTURE Edgewater uncture, 4315,443-540-33 Rd., Suite Edgewate www.Edgewater Acupuncture MindfulHeal SteveSmith,MEd, H22,Columbia;www.mindfulhealing.biz center.com0-312-5500,www.smartcoachLLERGY/ASTHM henbaum,MD, 53-8 www.allergyhcare.com Alternative 301-2755571,8241 Silver SpringMD,TransitionalMedicine, Thomp443. 1265,www. itionalmedic Park Baltimore;Rd.,Owing Mills; Montpelie Laurel. HearingHealthcare ices,Janice Au.D.,CCC/A,FAAA,301LutherKing Sui Hearing2036 Laurel301-604-3177 Waldorf 932-423 Founder PRACT Marlene 410-655-8900, Courtstown, Chiropractic,www.drmahipAdam7939Honey Blvd, 215,WhiteMarsh410-931-2156, idealhealthbaltimordrlisagordoLisaGordon,410-71Columbia, Perform Chiropractic, PatuxentPkwy #220,Columbi chiroca comcast.net andRichard’s Hands, 443-469-5475,n34redd@gmail.com insured,ff555@gmail.com;avai DENT Aesthetic10025GovernorWarfieldPkwy ColumbiaFamilyDentistBloomer, -663-1 Rd., drbloomer Shadi Ghozati,410-872-01037226 Deforumbiagatewaydenti DentalDesign tudio, 3419 410-480www. entaldesignstudio.co City DamianBlum,410-465-3224,10132 ottcitysmi www arylandlutions.com ENT 0-461-6655,2850 NorthRidge, City; 1111Universit Blvd. Suite Spring; reellicottcity.DentalCare, Pike,Manchester,410-374-488 alcare.net Pearl LiyaGoitom DDS,410-799-1793, MeadowCenter www.pearlsmilesdental.com BalumImaging, Suite olumbia;443-91 700, www.balumimaging.com Health iagnostic 4-9400, uarryLakeDrive, Physical,BuildingRockville, w.virtualphysical.com ETARY NSULTANT Simmons,OptimalHealth 443-852-100 877-572-3444, ww.optimalhealtbridge Elkind Shea,301-495-6665 TRANSPLA ears Kiely, EALTH Simmons, 443-852-1000,877 2-3444 ww.optimalhealthbridgeEvelynFrank, 5130, 9055Chevrole 202, Ellicott 210 info@myskintherapycenter. Quiet Time Hypnos PrivateSessions,ProfessionalTraining,licott 443-812 qthypnosis.com ABLECENTERRuscombe istic Center vate.PracticerentlyAvailable 0-3677300.www.ruscombe.org.410-461-2055, Corporateww.rightathome.n Colum CenterForIntegrat cine,410-934-344Elkridge; ealth.com,ether@ccimh Millennium Practice 410-740Columb Parkway Columbia, 1-495-6665. Roeder Silv Spring BaltimoreFACP, NCMP, #103,Towson,337-07 SPEC VisionSpecialists Maryland Virginia, Azman, 877-26 www.lowvisionmd. Fac Spa,ColumbiaDobbinandandStone.com anscendentalMeditationcolumbia@tm.org,641-45 PuraVida osmetic MD, 8170 Fulton;www.puravidamedspa. ENTALHEALTH Jemima 4830, Suite ltimore MED443-598-2454.Forbes,8821ColumbiatalitybynaturColumbia,UTR Advanced iropractic HealingCente410-721-3338 GlobalHealth,240-583-0Nutrition Ellicott 410-935-6069 ee24fit.comTowson, -449-2830, ww.drhormozi.com MarylandOncology atology,410CharterDrive,Suite020,Columbia.www.mdonc.LaserMD,Chesapeake Center, napolis, Maryland Sadiq 5963 hange Sykesville;landretina.co onticGroup, 549-95 5961ExchangeDr., 114-1 Sykesville; w.baltimoreorodonticgroup.comOrthodontic Ann GreelyOrtho.com Defin Harrison (41 321-8144,120 aper Pho w.bracedesign.comMANAGEMENT Maryland Institue, hryn Hodges,410-266 Omonssland Annapolis; ww.mdMarylandPain6085, Suite 100,Fulton, 410-7517246; ingtonRoad, 207,Westmin 21157;www. mdpainandspine.co nneth 9077600 205 owson, MANAGEMENT Maryland SportsMedicine Lane, Clarksville, 21029,www.mdspinesports.com etropolitan11055Little Pkwy, Columbia; politanpainpa. onalSpine Pain enters; generalquestionsregard703914-8000. nline: eatingpain.co Seton Rehabilitatio 410-644-8500, Wilken www.setonpainrehab.co PER MPLANTS DMD,PeriodontoDiplomate, 410-721-7801ERMANEN anentMake-Up,um/LifeMed gloriabrennan@rizon.net,www.permanentmd.com HARMACY TowsonPharmacy Suite.towsonpharmac 410-823-1818. THER REHAB TAT herapy,410-381-1574,GuilfordRoad,RPhysicalTherapy.comherapy,Renuka 300-BBaltimore410-988www.revive-pt ShapePhysicalTherapy, 410-465-550 Frederick www.cyclemillofmd.com JamesChappell, Ritchie SevernaPark. MetamorphosisPilatdio, ykesville; 0-795-1201, rphsispilates.com SURGERY Advance Nassif Soueid Luthervill 21093,www.advancedplasticsurgery. BaltimoreCente Surgery LLC, Kress,RandolphCaponeNorth, North Street, Metamorphosis Surgery, DanMarkmann, 205,www.discoverthebea STHET etro arsh HealthCenter, piperCircle, Suite0365,www.metropr etics. Facility. novativePsychiatry443-542-0773,403 umb 21045, columbiapsychmdREFLEX Reflexology,Certifi Acupoint/ ReflexologTimonium, 303-1676 aska@aol.com 410-44800,www.opt nsed - 8-2139Woodlands,1320Windlass rive,www.woodlandCARE TherapyCenter,EvelynFrank, Chevrolet Ellicott myskintherapycenter.com Welln Meadowridge.yatesmdaestheti Suite Elkridge,MD21075. Maryland Solutions,Damia224,10132 imore Pike,Ellicott ww.marylandsleepsolutions.com Restorationwww.centerforvei 826 Washing MD 21157.410-840-4545 ASCULA ERY Maryland rofessionals, (8346 AnnapoColum Clarks301-654-VE Chevy Chase Office, Appoiments@MDVeinProfessionals www.MDVeinProfessionals.comnimallyInvasive1496Reisterstown Baltimore, 855-803mallyinvasivevascularcenters.com Lakhanpal, JaimeMarquez, errilynJutton Jhav Catonsville, reenbelt,umbia,Ellicott Takoma ldor Washington0-0930www.centerforvein.coCenterFACS,826Washingt Westminster and 410-840-0023 w.theveincenterofmaryland.com ERANS WaldorfGHT WayneAnder Shape 410-280-3520ELLNESS obb,Well Coach,Lane@ LaneCobb. 443-756-8391, LaneCobb.
Offering Free Skin Cancer Screenings in ROCKVILLE and FAIRFAX In collaboration with the CHOOSE SKIN HEALTH program of the American Society for Dermatologic Surgery, local dermatologic surgeon and international educator, Dr. Hema Sundaram, has joined the fight against skin cancer by offering free and potentially lifesaving skin cancer screenings in Rockville, MD and Fairfax, VA. Schedule a free skin cancer screening by calling 703-641-966 or 301-984-3376 today.
Subscribe To Your Health Magazine Today! Mail this form along with your check for $24: Your Health Magazine 4201 Northview Dr. Suite 102 Bowie, MD • 20716 NAME:___________________________ STREET: CITY: STATE:_______ ZIP:_____________ PHONE: EMAIL: CHECK EDITION ($24 each edition): MARYLAND VIRGINIA WASHINGTON DC Call and Schedule an Appointment: 443-708-3958 2300 Garrison Boulevard, Suite #200, Baltimore, MD 21216 Services Offered: Primary Care for Children and Adults Gynecology Weight Management DOT Physicals Substance Abuse (Suboxone and Vivitrol) Janay Taylor, MSN, CRNP and Maurice Taylor, NREMT-P

Pelvic Ultrasound:

• Schedule a pelvic ultrasound through your primary care provider to assess the health of the uterus and ovaries, checking for structural abnormalities or and noting how many antral follicles you have. This may portend how easy or not it will be to get eggs from you.

Diagnostic Imaging:

• Hysterosalpingography (HSG): If necessary, coordinate with your primary doctor to schedule an HSG, a diagnostic imaging test available at many healthcare facilities. This will let you know if your tubes are blocked or if you have any abnormalities with the inside of your womb.

Taking the First Step: What Patients Can Expect Consultation and Personalized Planning:

• Schedule a consultation with your primary care provider to discuss your fertility goals and determine the most relevant pretesting plan based on your unique circumstances.

Education and Informed Consent:

• Receive detailed information about each test, its purpose, and potential outcomes. Your primary care provider will guide you through the process and answer any questions you may have.

Preparing Physically and Emotionally:

• Implement lifestyle modifications based on guidance from your primary doctor to optimize test results and enhance overall reproductive health.

Conclusion

Our Pretest Initiative is designed with accessibility in mind, utilizing tests that can be seamlessly integrated into your routine through your primary care provider. By taking these specific tests, you are proactively shaping the path to parenthood with the convenience and familiarity of your trusted healthcare professional. Together, let’s embark on this journey towards building the family you’ve always dreamed of, with the support of your primary doctor. Prevously publised on Medium.com

I nJ ury dOcTOrS

spinal column, one would expect a neurologist to be consulted and also begin treatment which many times includes surgery.

If an individual has received some type of scarring from an injury, that individual may also see a plastic surgeon in an attempt to minimize the impact of that scarring. The plastic surgeon may be able to minimize

FrOm pAge 56

the appearance of the scarring which may have an adverse effect on an individual’s appearance or their way of life.

While other doctors and medical specialists may be needed depending on the particular injuries that may occur, in most instances, these are the doctors and individual most likely will see as a result of an injury.

lIF e STyle ch A nge S

Increase soluble fiber. Soluble fiber can reduce the absorption of cholesterol into your bloodstream. Soluble fiber is found in such foods as oatmeal, kidney beans, fruits and vegetables. A diet high in fiber can help lower cholesterol levels by as much as 10%.

A heart-healthy diet also emphasizes curbing sugary foods and beverages. To be smarter about what you eat, you may need to pay more attention to food labels.

Exercise can also improve cholesterol. It can help raise HDL cholesterol, the “good” cholesterol. With your doctor’s okay, work up to at least 30 minutes of exercise five times a week or vigorous aerobic activity for 20 minutes three times a week. Adding physical activity, even in short intervals several times a day can

help you begin to lose weight, which can also lower cholesterol. Consider taking a brisk daily walk during your lunch hour, riding your bike to work or playing a favorite sport. Try incorporating more activity into your daily routine by using the stairs instead of taking the elevator or parking farther from your office.

Quitting smoking improves your HDL cholesterol level. The benefits occur quickly: Within 20 minutes of quitting, your blood pressure and heart rate recover from the cigaretteinduced spike. Within three months of quitting, your blood circulation and lung function begin to improve. Within a year of quitting, your risk of heart disease is half that of a smoker.

p hySIcA l

your child’s schedule.

There are many things you can do to get and keep your child active physically, that can help shape their behavior and attitude toward physical activity. Start by choosing physical activities you and your child enjoy and that match your child’s abilities, it will help ensure that you both stick with them. Encourage them to be physically active for one hour or more each day, with activities ranging from informal, active play to organized sports. If you’re not sure where to start, here are some examples.

• Physical activity should be a part of the family’s daily routine.

• Set a positive example by leading an active lifestyle yourself.

• Be positive about the physical

ScIATIcA

in conjunction with specific exercises.

Heat/Ice

For acute sciatic pain, heat and/ or ice packs are readily available and can help alleviate the leg pain, especially in the initial phase. Usually ice or heat is applied for approximately 20 minutes, and repeated every two hours. Most people use ice first, but some find more relief with heat. The two may be alternated. It is best to apply ice with a cloth or towel placed between the ice and skin to avoid an ice burn.

Pain Medications

Over-the-counter or prescription medications are often effective in reducing or relieving sciatica pain. Nonsteroidal anti-inflammatory drugs (such as ibuprofen or naproxen), or oral steroids can reduce the inflammation that is usually part of the cause of pain. Muscle relaxants or narcotic

h A mmerTOe S

prominence of the hammertoe. This will decrease pressure on the area.

• Wear a shoe with a deep toe box.

• If the hammertoe becomes inflamed and painful, apply ice packs several times a day to reduce swelling.

• Avoid heels more than 2 inches tall.

• A loose-fitting pair of shoes can also help protect the foot while reducing pressure on the affected toe, making walking a little easier until a visit to your podiatrist can be arranged.

• Avoid wearing shoes that are too tight or narrow. Children should have their shoes properly fitted on a regular basis, as their feet can often outgrow their shoes rapidly.

activities in which your child participates and encourage them to be interested in new activities.

• Make physical activity fun. Fun activities can be anything that your child enjoys, structured or nonstructured sports.

• After dinner, encourage your child to find fun activities with friends and family.

• Always provide protective equipment and ensure that the physical activity is developmentally and age-appropriate.

If your child has a chronic health condition or other symptoms be sure to talk with the doctor about the types and amounts of physical activity that are right for them.

medications may also be prescribed for the short term (a few days and up to two weeks) to alleviate pain.

Epidural

Steroid Injections

If the pain is severe, an epidural steroid injection can reduce inflammation. Unlike oral medications, an injection goes directly into the painful area around the sciatic nerve to address the inflammation that may be causing pain. While the effects tend to be temporary (providing pain relief for as little as one week or up to a year), and it does not work for everyone, an epidural steroid injection can be effective in relieving acute sciatic pain. Importantly, it can provide sufficient relief to allow a patient to progress with a conditioning and exercise program. It is always advisable to have a qualified medical professional oversee any type of sciatica treatment.

• See your podiatric physician if pain persists. Treatment options include changing footwear, padding and trimming the corns and calluses, custom orthotic footwear or devices, anti-inflammatory medications and splinting the affected toe. Surgery is recommended in some severe cases. The treatment options vary with the type and severity of each hammertoe, although identifying the deformity early in its development is important to avoid surgery. Podiatric medical attention should be sought at the first indication of pain and discomfort because, if left untreated, hammertoes tend to become rigid, making a nonsurgical treatment less of an option.

Maryland Edition | page 65 www.YourHEALTHMagazine.net
F erTI lITy
FrOm pAge 52
JOurney
geT
FrOm pAge 54
FrOm pAge 57
FrOm pAge 58
FrOm pAge 58

Welcoming a newborn into the world is a momentous occasion, and as new parents, your baby’s health and well-being are of utmost importance. Ensuring that your little one receives appropriate healthcare is crucial for their growth and development. One way to do this is through newborn baby physicals, which can now be conducted in the comfort of your own home.

Newborn baby physicals are an essential part of your baby’s healthcare routine. These exams help pediatricians assess your baby’s overall health and development. During these visits, your baby will undergo a full physical examination, including checks for weight, length, and

Newborn Physicals In the Comfort Of Your Home

head circumference. The healthcare provider will also measure vital signs such as heart rate and respiratory rate, which can provide valuable insights into your baby’s well-being.

Metabolic screening tests may be administered depending on your state’s guidelines. These tests are vital in detecting rare but serious metabolic disorders that can affect your baby’s health if not addressed early.

Newborn baby physicals may also include the administration of the EPDS (Edinburgh Postnatal Depression Scale) to assess the birth parent’s emotional well-being, as postpartum depression is a common concern.

Home-based pediatric wellness services also offer access to data via secure patient portals and telehealth visits, which can be invaluable for parents looking for ongoing guidance and support from healthcare professionals.

It’s important to note that newborn baby physicals at home typically do not include vaccinations.

Please see “Newborn Physicals,” page 66

Trusted Medical MD

Care For Children & Families

Our Service Programs

• SPROUT Program (NEWBORN Baby Care from a Pediatrician at Your Door!)

• Pediatrics (0 to 20)

• Holistic Wellness (for all ages)

• Homeopathy • Supplements

• Medical Cannabis

MD

301.477.3151 • TrustedMedicalMD.com 7525 Greenway Center Drive, Suite #215, Greenbelt, MD 20770

Vaccines are administered at a healthcare facility.

These home-based services aim to make healthcare more accessible for parents and infants, ensuring that your baby receives the care they need in a comfortable and familiar

environment. Regular newborn baby physicals are vital for your baby’s health and development, and they provide an excellent opportunity for parents to address any concerns and seek guidance from healthcare professionals.

h eA lThy Sm I le

undergoing a complex procedure or a routine dental treatment, your peace of mind is our priority.

Patient-Centric Approach: At Total Dental Care, we prioritize your comfort with a patient-focused approach, offering amenities such as heated chairs with massage features, ensuring a relaxed experience. Our team is dedicated to fostering a positive dental experience, emphasizing

FrOm pAge 12

communication and education to empower patients in making informed decisions about their oral health.

Total Dental Care stands as a beacon of excellence in dental health, providing total solutions for patients seeking comprehensive, detail-oriented care. Experience the difference with our wide range of services and patient-focused approach, ensuring your journey to a healthy smile is seamless and satisfying.

F I re cuppI ng

in reducing pain by promoting the release of endorphins, the body’s natural pain-relieving hormones.

Versatility and adaptability: Fire cupping can address a wide range of health concerns, making it a versatile and adaptable therapy for pain relief. It can be integrated into a comprehensive treatment plan, working synergistically with other healing modalities such as acupuncture, massage, or physical therapy.

Minimal side effects: Fire cupping is generally safe and well-toler-

pAI n F ul Sex

the problem of vaginal atrophy. NAMS suggests the use of vibrators and dildos to help stimulate blood flow, as well as vaginal dilators – plastic or rubbery round-tipped cylinders, graduated in size – that are used to stretch and relax the vaginal muscles. (Go to https://www.menopause.org/ for-women/sexual-health-menopauseonline/effective-treatments-for-sexual-problems/sexual-devices, for more

ated, with minimal side effects such as mild discomfort, redness, or bruising that subside within a few days.

Fire cupping is a unique and effective therapy for pain relief. Its noninvasive nature, potential to improve circulation, ability to balance qi, and relaxation benefits make it a worthwhile consideration for those seeking an alternative approach to pain management. As with any new treatment, it is essential to consult a qualified healthcare professional before undergoing fire cupping to ensure it is appropriate for specific needs and health concerns.

FrOm pAge 24

information.)

It may take some extra work, a bit of adjustment, and a sense of humor certainly helps, but sex beyond your 40s can be fun and satisfying. Be sure to talk to your GYN about pain that persists and don’t be shy about talking to a sex therapist. Countless studies have shown the health benefits of a happy sex life, so take advantage of that empty nest. Say YES to sex!

ulTI m ATe h eA lI ng

path, and providing guidance on aligning your goals with your destiny. Anticipate receiving insights aimed at addressing challenges and identifying opportunities.

FrOm pAge 57

Gain clarity on personal growth and navigating life’s complexities, empowering you to make informed decisions and pursue positive changes.

301-805-6805 page 66 | Your HEALTH Magazine
FrOm pAge 48
Maryland Edition | page 67 www.YourHEALTHMagazine.net

Our Care for You Is More Than Skin Deep…

Your skin is the largest organ in your body and, together with your hair and nails, the mirror of everything that’s happening internally. After over twenty years as a fellowship-trained, Board Certified dermatologist and as a cosmetic surgeon, I am completely convinced of the positive effects of integrating medical and cosmetic treatments to balance how you look with how you feel. When that balance is missing or has been lost with age, how we look doesn’t represent who we really are inside. Others may assume that an older, stressed or worried appearance means a lack of ideas, energy and creativity. This impacts us both personally and professionally. The greatest joy of my profession is restoring the inner-outer balance for the women and men who consult me. They find it an exhilarating experience to look in the mirror, and love the reflection that’s looking back.

My team and I offer you breakthrough technology, advanced science and true artistry in a warm, compassionate and emotionally intelligent environment. We stay on the cutting edge, serving as national research and training centers - in many cases, the only centers in the mid-Atlantic and East - for expert treatment of skin, hair and nail conditions and state of-the-art techniques including lasers, fillers, Botox, fat grafting, platelet-rich plasma (PRP), chemical peels, liposuction and body contouring and vaginal rejuvenation.

My mission in my North American and global research is to elucidate the scientific basis of new and emerging technologies, and how this science can be applied to achieve the best and safest procedural outcomes. As a Principal Investigator for studies of new technologies, a national and international teacher of dermatologists and plastic surgeons, and one of a handful of experts serving as an advisor and director of advanced medical education programs, I’m confident that you will achieve the best possible results when you entrust your face and body to our hands. As a daily practitioner of yoga, I understand the value of a holistic approach. Above all, my team and I promise to give you straight answers. We’ll steer you through the hype and jargon, and help you restore the inner-outer balance that empowers us in every aspect of our lives.

Dr. Hema Sundaram, MA, MD, FAAD • Board Certified in Dermatology

• Fellow and Visiting Professor for the American Society for Dermatologic Surgery (ASDS) • Fellow of the American Academy of Dermatology.

• Premier medical training at Cambridge University (England), University of Chicago and NIH.

• Internationally recognized physician teacher, researcher and author.

• International Speaker and Course Director at Dermatology and Plastic Surgery Academies.

• International Physician Trainer and Advisor.

• North American Chairperson of the Global Aesthetics Alliance and Global Aesthetics Consensus Group for Procedural Safety.

• Author of book chapters and scientific papers in plastic surgery and dermatology academy journals.

• Author of “Face Value: The Truth About Beauty and a Guilt-Free Guide To Finding It” - selected for the National Press Club Authors’ Night.

• Quoted as an expert in leading publications including The New York Times, USA Today, Prevention, Good Housekeeping, Allure, Marie Claire, Essence, Cosmopolitan, Self and Woman’s World.

• Medical Advisor to Fitness magazine and for tv and radio shows.

• Charities supported include Skin Cancer Foundation, Breast Cancer Awareness and The Leukemia & Lymphoma Society.

Choose Skin and Hair Health Join us for our Summer Specials Call Now to Reserve Your Appointment Additional special offers on all our services including: Exilis Ultra, Botox, Dysport, Jeuveau, Xeomin, Juvederm, Restylane, Radiesse, Belotero, Sculptra, Platelet-Rich Plasma, Hair Restoration, Fat Grafting, Fraxel, Ulthera, eMatrix Sublative, Laser Lipo, all other Lasers, DermaSweep MD, Chemical Peels, Skin Care Products Discover VBeam Perfecta, GentleMax Pro, CO2RE and CO2RE Intima – our Newest Lasers for Pain-Free Hair Removal, Facial and Leg Veins, Scars, Stretch Marks, Sunspots & Pigmentation and Birthmarks, Facial Aging and Total Body Rejuvenation www.doctorhema.com Follow us on Instagram: @twicebornbeauty and @drhemasundaram Se Habla Español • Now Open Saturdays SEE PAGE 7 FOR MORE INFORMATION Call: 301-984-DERM or 703-641-9666 Fairfax (3376) HEMA A. SUNDARAM, MA, MD, FAAD BOARD CERTIFIED DERMATOLOGIST TIFFANY DINH, PA-C, CERTIFIED PHYSICIAN ASSISTANT Dermatology, Cosmetic & Laser Surgery for Women and Men Rockville/Bethesda Interest-Free Financing Available • FREE PARKING “Nobody else does fillers like you do” - HJ, patient for 17 years “I will never trust my face to anyone else. You are a true artist!” - NK, patient for 12 years Dr.
MA, MD, FAAD NOW OFFERING PRP PLATELET RICH PLASMA for HAIR RESTORATION Expert French Cannulas for Safe and Bruise-Free Filler Injections Through commitment to research and education, Dr. Sundaram has been involved in pivotal studies of many of the advanced aesthetic technologies available in North America, and teaches them nationally and internationally to dermatologists and plastic surgeons National Research Center Before & After Facial Contouring Before & After 1st 2 sessions of PRP Hair Restoration @DrHemaSundaram @DrHemaSundaram Before & After Nonsurgical Neck Restoration @DrHemaSundaram @DrHemaSundaram
Hema Sundaram,

Turn static files into dynamic content formats.

Create a flipbook
Issuu converts static files into: digital portfolios, online yearbooks, online catalogs, digital photo albums and more. Sign up and create your flipbook.