Maryland February 2025

Page 1


Robin R. Robinson, AuD Audiologist
Jeffery L. Brown, DDS TMJ & Sleep Apnea Tulani K. WashingtonPlaskett, MD, Cardiologist
Alexander C. Nnabue, OD, PA Optometrist
Renee Bovelle, MD Ophthalmology
Karl A. Smith, DDS, MS Periodontist
Bergina Isbell, MD Psychiatry Page 37
Christa Bellanca, LCSW-C

The mission of the Washington Open MRI is to provide the highest quality diagnostic imaging with the most patient comfort in a professional environment. Our vision at Washington Open MRI is to bring greater awareness of the unique capabilities of our Stand-Up/Sit-Down positional MRI.

We were the World’s First positional MRI center, and only available at Washington Open MRI. This unique technology provides MRI results that ARE truly superior to all others available today.

We have been providing this unique experience for our patients in a non-claustrophobic environment for almost 30 years, and for most patients, you can watch TV during your MRI scan!

At the Minimally Invasive Vascular Center (also known as MIVC) we have long been committed to addressing the vascular devastation that is rampant in our community. Each year cardiovascular disease is the world’s largest killer; killing more Americans than cancer. If you have painful legs, wounds that won’t heal, varicose veins, leg swelling, history of smoking, or have a family history of vascular problems and/ or are over the age of 50, you may suffer from poor circulation. Poor circulation may be responsible for causing erectile dysfunction in as much as 50 to 70 percent of men who develop the condition. Now we are happy to add expanded services! Our goal is to extend the healthy lifespan of our patients by using a comprehensive, integrative approach to achieve the most effective results. We believe that Beauty Is a Reflection of Health and Wellness. We want you to be as beautiful on the outside as you are healthy on the inside.

• Primary Care

• Wound Care

• Comprehensive Weight-Loss (including injectables)

• Aesthetics

• Age Spots

• Cellulite

• BOTOX® Cosmetic

• Fillers

• Microneedling w/PRP and Exosomes

• PRP Hair Restoration

• Spider Veins

• Body Contouring

• CoolSculpting

• Laser

• CoolTouch Laser

• Laser Hair Removal

• Laser Pigment Removal

• Laser Skin Resurfacing

• Laser Skin Tightening

• Skin Treatments

• Acne Scars

• PRP Injections

• Chemical Peels

• HydraFacial

• Microdermabrasion

• Sun Damage

• Vascular Procedures

• Arteriograms

• Atherectomy

• Balloon Angioplasty

• Radiofrequency Ablation – Veins

• Venogram

• Uterine Fibroid Embolization

• Coil Embolization

• Sexual Enhancement

• Hormone Therapy

• Gainswave

• P-shot/O-shot

In This Edition…

The articles below are provided by local health professionals for the benefit of the public. Please contact them for advice and services.

7 | Steps To Preventing Diabetes | By Janet V. Johnson, MD

8 | Understanding and Overcoming Urinary Incontinence | By Kari Bailey, MD

11 | How to Beat Heart Disease: With a Periodontist, You Can Win | By Karl A. Smith, DDS, MS

12 | Your One-Stop Solution For a Healthy Smile | Submitted By Total Dental Care

13 | Diabetic Wound Care | By Howard Horowitz, DPM

13 | How People With Burn Injuries Should Deal With the Financial Burdens | By Paul Samakow, Attorney 14 | TMD and Sleep the Connection | By Jeffrey L. Brown, DDS 16 | All-On-Four Dental Implants | Submitted By Sivakumar Sreenivasan, DMD, MDS

18 | Who’s At Risk For Colon Cancer? | Submitted By Gastro Center of Maryland

19 | Chiropractic Care and Diabetes | By Alicia Kovach, DC

20 | Cardiovascular Disease: Natural Approaches To Reduce Your Risk | By Alan Weiss, MD

20 | Sleep Disorders and Holistic Health | By Elambert Richardson

22 | Aging in Place: A Guide To Future Planning | Submitted By Right At Home

24 | Bariatric Surgery Helps Resolve Diabetes | By Etwar McBean, MD, FACS

24 | Increase Your Self-Confidence A Beautiful Smile – Your Secret Weapon | By Judy Yu, DMD, MBA

25 | Sex Hormones Protect Your Heart | Submitted by New Day Vitality Hormone Center

26 | The Benefits of Dental Sleep Appliances Over CPAP | By Larry Bryant, DDS

27 | Healthy Diet and Exercise Support Colon Health | By Matthew Skancke, MD & Rami Makhoul, MD

29 | A New Dawn For Diabetic Neuropathy | By Netsere Tesfayohannes, MD, ABA, ABAP

30 | Chinese Medicine For Chronic Low Back Pain | By Quansheng Lu, CMD, PhD, LAc

30 | Healthy Heart Month | By Tiffany Daniel

34-44 | Featured Cardio Health, Diabetes and Storke Professionals + Mental Health

45 | Improving Access For Blacks To Hospice and Supportive Care | By Rachel Jordan, DNP, APRN

48 | Exploring Cannabis As a Natural Sleep Aid | By Sharron Sample, CEO

50 | Key Issues In Women’s Health: Understanding Fibroids | By Ashley Pimperl, MSN, CRNP

50 | Holding Space For Your Heart In 2025 | By Linda Penkala, Author, LMT, Speaker

52 | Foot Health: Steps For People With Diabetes | By Ademuyiwa Adetunji, DPM

52 | Acupuncture and Diabetes: A Holistic Approach To Managing Blood Sugar | By Brittney de Vicq, MAc

54 | Manic Depression | By Joyce Abramson, RNMS

54 | Diabetes and Yoga | By Toni Greene, Owner

54 | What If We Treated Depression like Cancer? | By Bergina Isbell

56 | Enhanced Underinsured Coverage | By James A. Cleaver, Esq.

56 | Common Causes For Low Sperm Counts | By Yemi Adesanya-Famuyiwa, MD

57 | The Ultimate Healing: Restoring Body, Mind & Spirit | By Sabrina Milanovich

58 | The Silent Dental Disease | Submitted by E. Taylor Meiser, DDS

58 | Self-Care Guide For People With Diabetes | Submitted By Kensington Pharmacy

58 | Orthodontics and Mouth Protection | By Jacqueline Brown Bryant, DDS, MS, PC

59 | Understanding Low Back Pain | By Dr. Anver Khan

Your Health Magazine is on a mission. There are far too many people, insured or not, who do not go to the doctor when they should, and in millions of cases, don’t know who they should go to, or why. People are encouraged to buy a new house, car, cell phone or big screen TV, and those companies make themselves very visible and their products easily attainable.

Information about, and from, local healthcare providers is not easy to find, and many times those services are difficult to access.

Information and encouragement always lowers fear and trepidation about anything, and this is especially true in healthcare. While general information is available on web-sites, specific information from local providers is almost impossible for people to find. This is one of the key reasons chronic and episodic conditions are not cared for. It is our mission to:

Make A Difference By Empowering and Encouraging People To Live Healthier By Going To the Doctor When They Should.

There is a lot of evidence that the health professionals who participate in Your Health Magazine have helped many people over the years. We at Your Health Magazine salute you!

If you would like to find out how you can participate in one of our upcoming editions, please contact the office nearest you.

MARYLAND & WASHINGTON, DC OFFICE One Town Center 4201 Northview Drive, Suite 102 Bowie, MD 20716 Office (301) 805-6805 • Fax (301) 805-6808 info@yourhealthmagazine.net

VIRGINIA OFFICE Office (301) 805-6805 info@yourhealthmagazine.net

© Your Health Magazine, 2025. The magazine and all of its contents are protected by copyright. For permission to reproduce any materials in this magazine, contact publish@yourhealthmagazine.net

EDITOR-IN-CHIEF

Gregory Scott Hunter

Heather L. Mahoney

Steps To Preventing Diabetes

More than 24 million Americans have diabetes; of those, about six million don’t know they have the disease. This difficult disease, once called adult-onset diabetes, is striking an ever-growing number of adults. Even more alarming, it’s now beginning to show up in obese teenagers and children.

control, exercising more, eating a healthy diet, and not smoking.

Weight Control

Having excess weight is the single most important cause of type 2 diabetes. Being overweight increases one’s chances of developing type 2 diabetes seven-fold. Being obese makes you 20-40 times more likely to develop diabetes than someone with a healthy weight.

Losing weight can help if your weight is above the healthy-weight range. Losing 7-10% of your current weight can cut your chances of developing type 2 diabetes in half.

Active Lifestyle

Attraction

Type 2 diabetes is largely preventable. About nine cases in 10 could be avoided by taking several simple steps: keeping weight under

Inactivity promotes type 2 diabetes. Working your muscles more often and making them work harder improves their ability to use insulin and absorb glucose. This puts less stress on your insulin-making cells. Long bouts of hot, sweaty exercise aren’t necessary to reap this benefit. Walking briskly for a half hour every day reduces the risk

Please see “Prevent Diabetes,” page 62

Beth Albaneze, MA, CTRS, CPRP

Studies have shown that the U.S. is in the middle of a mental health crisis, and experts say there is an immediate need for integrated mental health services. In her new book, From Helpless to Hopeful: Addressing a Loved One’s Challenges and Changes, respected Maryland recreation therapist Beth Albaneze explains how to navigate both mental health challenges and the system that treats them. “It’s such an important time for people to have a tool like this,” Ms. Albaneze says. “Mental health issues are so widespread right now that even people who haven’t experienced such challenges themselves know someone who is having a hard time.”

The book is designed to help laypeople find appropriate resources to help a loved one who is experiencing an emotional and/or life shift. The guidance is delivered alongside Ms. Albaneze’s personal anecdotes as well as case studies from her many decades of helping clients find creative and effective ways to help someone they care about.

To order a copy of From Helpless to Hopeful: Addressing a Loved One’s Challenges and Changes, go to: HouseCallsTotalWellness.com

Doesn't Your Child Deserve the Best?

Iwas born and raised in Brooklyn, New

masters at Long Island University in Brooklyn New York and completed my medical degree at State University of New York at Buffalo, School of Medicine in 1991.

Loving Care Pediatrics

Janet V. Johnson, MD

Board Certified in Pediatrics and Adolescent Medicine

Our Vision is

many others, please call the office at 301403-8808 to schedule a visit. We look forward to seeing you at Loving Care Pediatrics— Janet Johnson MD and Staff.

be recognized in the

My postdoctoral training was received at Howard University/District of Columbia Hospitals combined Residency Program, Department of Pediatrics in Washington, DC completed in June 1994. I served as Chief Resident for the Department of Pediatrics, January 1994. I obtained Continuity Clinic Awards from 1991 to 1993 based on partic ipation and involvement in community clinics during my residency training.

I am Licensed in Maryland, Board Certified in Pediatrics and Adolescent Medicine and a Fellow of the American Academy of Pediatrics.

In addition, I am dedicated to volunteering my time to community outreach projects, youth groups, health fairs, various church functions and committee boards as well as for those who are less fortunate. Donating of my talents, time and treasures and giving back and serving those who are in need. I am an active member in The Prince George’s Community Advisory Group and served as the Medical Director for the Mid-Maryland Mission of Mercy two day free Dental Clinic sponsored by Catholic Charities Archdiocese of Washington in August 2013.

Integrity:

serves for compassionate patient service, and clinical excellence. To create a caring environment with a commitment to foster a work environment where individual diversity is valued and recognized, also where the satisfaction of all patients regardless of their background is the fundamental goal of our every action, with the practice of medicine being recognized and honored as a uniquely noble pursuit.

I have been in Private Practice for 22 years.

I practice general pediatrics: examining, diagnosing and treating most of the diseases of children from birth to 21 years of age. With referral to specialists when the need arise. The practice is certified by the Prince George’s Health Department to administer Yellow Fever Vaccination. The practice provides vaccines for overseas travel to those individuals traveling out of the country and in need of an official certificate of vaccination (Yellow Book).

make every attempt to ensure medical care to my patients is as convenient as possible. If your child becomes ill during the night you may contact the office via the answering service and speak with me for an emergent next day appointment. We also have same day appointments. Most insurances are accepted including: Aetna, Care first Blue Cross, Blue Choice, Amerigroup, Americhoice United Health care, Teamsters, Tricare, most government plans, Maryland Medicaid, self-pay, and

Practice Philosophy Janet Johnson MD and Travel Health Medicine is committed to servicing its patients, parents and community by providing excellent and compassionate health care service to a culturally diverse population that promotes the dignity and well-being of the people we serve.

Vision Statement Janet Johnson and Travel Health Medicine goal is to be recognized in the community it serves for compassionate patient service, and clinical excellence. To create a caring environment with a commitment to foster a work environment where

Quality:

Respect:

on

Evan Taff is a multifaceted professional, serving as a realtor with EXP Realty and The Karen Rollings Team, a certified life coach, certified med technician, and musician. At Transition House, Evan handles intakes, daily administration, and coordination of clients, working with individuals and families to navigate life’s challenges before, during, and after services or housing placement. He uses intentional and reflective dialogue to help clients find their voice and advocates for housing without discrimination. Evan’s

gies and techniques provide guidance for clients to explore their path without judgment or expectation, offering support during the

process of discovery.

Understanding and Overcoming Urinary Incontinence

Urinary incontinence, a prevalent condition affecting millions worldwide, poses significant challenges to those living with it. Defined as the involuntary leakage of urine, this condition can disrupt daily life, impacting social interactions, self-esteem, and overall well-being. As a urologist, it’s imperative to shed light on this condition, its causes, and the array of treatments

available to manage it effectively.

Types and Triggers

Urinary incontinence comes in various forms, each with its own triggers. Stress incontinence, often linked to weakened pelvic muscles, contrasts with urge incontinence’s sudden, strong bladder contractions. Mixed incontinence combines aspects of both, highlighting the complexity in diagnosis and management.

Getting To the

Root:

Diagnostic Journey Made Simple

To tackle urinary incontinence, understanding its root cause is key. Urologists employ straightforward diagnostic methods, including medical history discussions and basic physical exams, sometimes coupled with specialized tests like bladder function studies. This process helps uncover the underlying issues, guiding tailored treatment plans.

Lifestyle and Behavioral Shifts

You don’t need drastic measures to make a difference. Simple lifestyle

Innovative Treatments

changes, like managing fluid intake and incorporating pelvic floor exercises into your routine, can significantly improve symptoms, especially in stress incontinence cases. Additionally, behavioral therapies like bladder training and scheduled voiding can help regain control and reduce urgency.

Medication Matters: Targeted Solutions For Enhanced Comfort

For individuals with more severe or persistent symptoms, pharmacotherapy may be recommended. Medications targeting overactive bladder muscles, such as anticholinergics or beta-3 adrenergic agonists, can help reduce urgency and frequency of urination. In some cases, hormone therapy or topical estrogen may be prescribed to strengthen pelvic tissues and alleviate symptoms, especially in postmenopausal women.

Minimally Invasive Solutions

For those seeking more advanced solutions, minimally invasive procedures offer hope. Techniques like sling placement, urethral bulking, Botox, or neuromodulation can provide lasting relief, with minimal disruption to daily life. These options can make a significant difference in your quality of life.

Collaborative Care: Navigating the Journey Together

It’s important to recognize that treatment for urinary incontinence is not one-size-fits-all; rather, it requires a personalized approach tailored to the individual’s unique needs and circumstances. As a urologist, my goal is to empower patients with knowledge, support, and effective interventions to regain control over their bladder function and enhance their quality of life. By fostering open communication and collaboration, we can navigate the complexities of urinary incontinence together, striving for optimal outcomes and improved well-being for all affected individuals.

Kari Bailey, MD
Fraser C. Henderson Jr., MD

How to Beat Heart Disease: With a Periodontist, You Can Win

February is American Heart Month. Heart disease is the leading cause of death in the United States. You can fight back by eating healthy; becoming physically active; controlling your high blood pressure or cholesterol; and getting a clean bill of health from your periodontist.

Periodontal disease, heart disease and stroke may seem to have an unlikely connection, but researchers have found that gum disease sufferers are nearly twice as likely to also suffer from coronary heart disease. Research studies have discovered that oral infection is indeed a risk factor for certain types of cancer, stroke and other serious heart and health problems.

The Connection Between Your Mouth and Heart:

There are several theories, which may explain the link between heart disease, stroke and periodontal disease, which include the following:

Bacteria In the Mouth – There are many different strains of bacteria. Researchers assert that some of these strains of bacteria enter the bloodstream through your mouth and attach to the fatty plaques in the blood vessels of the heart. This attachment then contributes to clot formation, causing grave danger to the individual.

Inflammation – Periodontal bacteria causes severe inflammation in the gum tissue, which elevates the white blood cell count.

Immune System Deficiency –Individuals who experience particularly high levels of oral bacteria may have weaker immune systems. These factors may induce specific vascular effects, which have previously been shown to contribute in the onset of certain forms of heart disease.

There is little doubt that the presence of periodontal disease can worsen existing heart conditions. In fact, for many patients periodontists and cardiologists work as a team in order to treat individuals experiencing both conditions.

Diagnosis and Treatment

Since periodontal disease appears to be a risk factor for both heart attack and stroke, it is extremely important to seek immediate treatment with an experienced periodontist. Dentists who specialize in the treatment and prevention of periodontal (gum) disease – periodontists – are experts in the treatment of oral inflammation, plaque and bacte-

ria as they receive extensive training in these areas during their three additional years of education beyond dental school. Periodontists are familiar with the latest techniques for diagnosing and treating periodontal disease, and are also trained in performing cosmetic periodontal procedures, and dental implants.

Initially, the periodontist will conduct thorough examinations to assess the exact condition of the teeth, gums and jawbone. X-rays can be helpful in determining whether bone loss is prev-

alent in the upper and lower jaw. The periodontist is also able to conduct deep cleaning treatments to remove hardened calculus (tartar) deposits from the gum pockets. An antibiotic may be prescribed to ensure that the bacteria is completely destroyed and the periodontal infection does not spread to the rest of the body. Antibiotics alone are not enough to treat periodontal conditions but dental treatment along with antibiotics can have the power to get

and keep your body healthy. Fortunately, you can fight back against heart disease. Visiting a periodontist today to remedy gum disease may be one of the best things you can do to help lower these overall health risks. If you are over the age of 45, have any health compromise, experience bleeding gums, or are interested in keeping your natural teeth for your lifetime call a periodontist right away. Get the answers to your questions about how good dental care might just save your life.

– Dental Implants To Restore Your Beautiful Smile

– Caring & Kind Dentist & Team

– State-of-the-Art Equipment

– Laser Periodontic Therapy

– Affordable Gum Treatment

– Insurance Accepted & Filed

– Ultra-Sterile Environment

– No Referral Needed

– Comfortable Sedation Dentistry

Our patients mean the world to us (and they love to refer to us as friends and family). My team works together to ensure your visit is enjoyable, and that your treatment is gentle and pain-free. We are deeply committed to help you prevent and treat periodontal (gum) disease, and to enhance your smile to improve your overall health.

Your One-Stop Solution For a Healthy Smile

Submitted By Total Dental Care

Maintaining optimal dental health is crucial for overall well-being, and finding a dental office that offers comprehensive care under one roof is a game-changer. Total Dental Care is a well-established dental practice that takes pride in providing detailed and comprehensive services in various specialties, ensuring patients receive topnotch care for their unique dental needs.

General Dental Services: Total Dental Care excels in offering a wide array of general dental services, including routine check-ups, cleanings, and preventive care. Our experienced team focuses on early detection and intervention to prevent dental issues from escalating.

Specialized Services: Whether you require orthodontic adjustments, periodontal treatments, Invisalign, dental implants, prosthodontics, oral

surgery, extractions, root canals and endodontic treatments, or restorative and cosmetic dentistry, Total Dental Care has you covered. Our specialists are experts in their respective fields, ensuring you receive tailored treatments for your specific dental concerns.

Cutting-Edge Technology: Total Dental Care stays at the forefront of dental technology, offering services such as digital intra-oral cameras, cone-beam CT scanners, and teethin-a-day. Our commitment to utilizing advanced techniques ensures effective and efficient treatments while minimizing complications.

Sedation Options: Understanding the anxiety some patients may feel, Total Dental Care offers laughing gas, oral sedation and IV general anesthesia options. Our goal is to create a comfortable and stress-free environment, catering to the individual

Please see “Healthy Smile,” page 63

Diabetic Wound Care

A diabetic foot ulcer is an open sore or wound that most commonly occurs on the bottom of the foot in approximately 15% of patients with diabetes. Of those who develop a foot ulcer, 6% will be hospitalized due to infection or other ulcer-related complication.

Diabetes is the leading cause of non-traumatic lower extremity amputations in the US, and approximately 1424% of patients with diabetes who develop a foot ulcer have an amputation. Research has shown that the develop-

ment of a foot ulcer is preventable.

Ulcers form due to a combination of factors, such as lack of feeling in the foot, poor circulation, foot deformities, irritation (such as friction or pressure), and trauma, as well as duration of diabetes. Patients who have diabetes for many years can develop neuropathy, a reduced or complete lack of feeling in the feet due to nerve damage caused by elevated blood glucose levels over time. The nerve damage often can occur without pain and one may not even be aware of the problem. Your podiatric physician can test feet for neuropathy with a simple and painless tool called a monofilament.

Vascular disease can complicate a foot ulcer, reducing the body’s ability to heal and increasing the risk for an infection. Elevations in blood glucose can reduce the body’s ability to fight off a potential infection and also retard healing.

Once an ulcer is noticed, seek podiatric medical care immediately to reduce the risk of infection and ampu-

Please see “Diabetic Wound,” page 62

L. Feitel Company

6701 Democracy Blvd., Suite 300 Bethesda , MD 20817

Let Charles Feitel help

Fax: (301)

Email:

TMD and Sleep the Connection

It may be hard to believe, but when you have a TMJ disorder (otherwise called TMD), this can correlate to sleep-disordered breathing (SDB). The way this works is that when the jaw joint discs are displaced – just like a kneecap can slip out of place – you get pain. Pain and inflammation are quite common with a displaced jaw

disc. When you are hurting, you just cannot sleep all that well. Also, the quality of sleep is compromised because it is now harder to get the good, deep, non-REM sleep that helps our body to heal.

It is unfortunate that TMD is so poorly understood because so many people really do need help in this area. It is actually fairly easy to get a handle on this disorder, however. One of the first signs of TMD is that

you have clicking and/or popping in the jaw joints. This is often a clear sign that the articular discs (jaw joint discs) are displaced and causing an inflammatory reaction.

Another very clear sign of TMD is that you cannot open your jaw widely. The “normal” range of motion is generally considered to be around 50 mm. This means measuring from the tip of the upper front teeth to the tip of the lower front teeth when opening

Typical Dental Office

wide, you should get around 50 mm. Some practitioners say that 35mm is around normal, but in general most agree that 50mm is a healthier way to be. This measurement can readily be done when you see your dentist or hygienist but most of the time it is not done.

So, now let’s get back to the link to sleep problems. If and when the articular discs in the jaw joints are displaced, they are going to rub around in the jaw sockets and will quite literally pinch or rub against nerves and blood vessels in the joint. Diagnosis: It just plain hurts. In the human body when a bone rubs against bone or other vessels, it just hurts, simple as that. This in turn begins an inflammatory reaction in which the body releases the mediators of inflammation called “cytokines”. Now these cytokines are floating around inside your body causing a chronic irritation. It’s kind of like being chronically sick all the time.

Dr. Jeffrey Brown has limited his practice to focus only on TMJ Disorders, Craniofacial Pain Management and Sleep Apnea. By fixing slipped discs in the jaw joints, Dr. Brown can significantly reduce the pain patients experience in the head/neck region and other symptoms associated with jaw joint problems. Sleep & TMJ Therapy may be able to improve the quality of life for you or a loved one – we encourage you to contact us with any questions or concerns.

“Dr. Brown and his staff are absolutely wonderful. I was diagnosed with Dystonia. I could not turn my head and had a ton of pain. My doctors offered no help and no advice besides Meds and Botox. Since having the appliance I have NO pain and I can turn my head. I would highly recommend them to anyone. I feel Dr. Brown and his staff really care about their patients and helping them to get better. They do not just numb the symptoms but fix the problem. Thank you from the bottom of my heart. I feel like the old me again!”

- D. Thomas

“My daughter has been treated by Dr. Stack and Dr. Brown for the last 2 1/2 years, and we are very fortunate to have found them. Prior to that she was being treated by a neurologist at a Children’s hospital. She was on medications for tics and associated muscle pain, OCD/repetitive thoughts, sleeplessness and more (all possibly associated with Tourettes). Drs. Stack and Brown installed spacers to alleviate pressure on nerve bundles in the jaw, and subsequently braces to complete the process. Her symptoms have diminished significantly. She is off medication, her tics have all but disappeared, she can concentrate better in school, and she is once again cheerful and relaxed.” - Susan

When the body is running in inflammation mode, it hurts, and this leads to sleep difficulties. What happens in so many people are the jaw joints ache, which in turn leads to the neck being irritated, and then it travels down the back as well. This makes the deep sleep – called non-REM III – unable to happen the way it should. Now you are sleep deprived and not able to heal the body like your body intended. This cycle just gets worse and worse over time. In so many people, this will lead to OSA – obstructive sleep apnea. So be safe, be smart, learn about TMD and how to treat it for a good night sleep.

Jeffrey L. Brown, DDS
Jeffrey L. Brown, DDS

• Natural, safe, laser light energy is pulsed and absorbed by the subcutaneous tissue.

• Supercharges the body’s metabolism through ATP synthesis to burn fat as energy.

• Waste products are expelled from the body via sweat, urine and respiratory exhaustion.

• The body continues to burn fat for up to 4 hours after treatment.

• Collagen and elastin production is increased within the skin layers to rejuvenate and repair skin cells addressing cellulite, skin laxity and stretch-marks.

• Depression and Anxiety

• Eating Disorders

• Trauma and Post Traumatic Stress Disorder

• Marriage and Relationship Difficulties

• Family Problems

• Military Issues

• Anger Management

• Self-Esteem/ Self Confidence

• Domestic Violence and Sexual Assault

• Parenting Concerns

Counseling can be an intimidating experience and the decision to seek counseling is a courageous one. Whether you are having difficulty with adjustment issues or recovering from a traumatic experience, your treatment will be specific to you and specialized for your individual needs. Finding the right counselor is essential to your success in treatment. We make every attempt possible to provide our clients with a warm, caring, and supportive environment following a strength based approach to manage and cope with life’s current challenges.

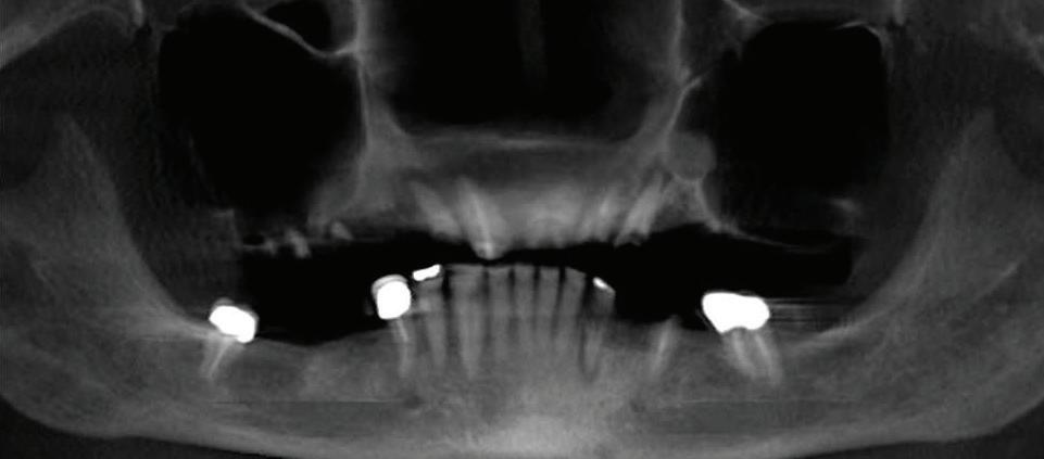
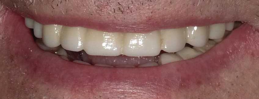
Can just four implants replace all of the teeth on the top or the bottom of your mouth? Thanks to advances in dental implant technology, that answer is a resounding yes.

Tooth loss is extremely common among adults, especially as we age. Rather than living with the discomfort and hassles of dentures, many people are opting for what is called “all-onfour” dental implant restoration.

An implant is a small titanium

screw that fits inside your jawbone and replaces the root-part of a missing tooth. Minor surgery is required to insert the implants. Once the implant is in place, a crown is attached to give you a highly realistic-looking and functional prosthetic tooth.

You do not need a dental implant for each and every one of your missing teeth. All you need is four precisely placed implants on the top of your mouth, and four on the bottom, to restore your full smile. That’s the beauty of the all-on-four. And because the implant is made of titanium, it has the unique ability to fuse to living bone and function as part of it. So eventually, the dental implant becomes part of the jawbone and serves as a strong, longlasting foundation for your new teeth.

Besides ensuring that your implants are permanently fixed in place, this bone fusion has another important benefit: it prevents future bone loss in the jaw. This helps to maintain a more youthful facial structure – and better

Please see “All-On-Four,” page 63

ADVENTIST MEDICAL GROUP

PRIMARY CARE SERVICES FOR YOU

Choose Adventist Medical Group Primary Care in Fort Washington, Maryland, to provide a full range of primary care services for adults.

Learn to better manage your health and prevent illnesses with personalized care from our experienced, primary care providers. Our specialists in family medicine and internal medicine work as a team to deliver expert care when you need:

• Same-day Sick Visits

• Women’s and Men’s Health and Wellness Exams

• Health Physicals, Health Maintenance and Preventive Care

• Geriatric (Senior) Wellness Exams

• Vaccinations and Immunizations, including Flu Shots

• Health Management for:

• Asthma and Allergies

• High Blood Pressure

• High Cholesterol

• Diabetes

• Heart Disease

You also benefit from coordinated care that helps you effectively handle all aspects of your health—from preventive medicine and preoperative appointments to management of chronic health conditions.

To schedule an appointment, please call 240-724-6018

10709 Indian Head Highway, Suite D1 Fort Washington, Maryland 20744 AdventistMedicalGroup.org

Ogechi Anyaoku, MD, MSPH (Internal Medicine)
Nicole Haskins, CRNP, RN (Family Nurse Practitioner)

Who’s At Risk For Colon Cancer?

Submitted By Gastro Center of Maryland

While risk factors such as genetics and lifestyle play a big part, cancer can still happen to anyone. Luckily, you can take steps to keep you and your family healthy if you become familiar with the most common risk factors.

That’s why gastroenterology experts are here with a comprehensive list of colon cancer risk factors to help you know where you stand.

Who’s At Risk For Colon Cancer?

The most common risk factor for colon cancer is advanced age. In fact, your likelihood of developing any type of serious illness increases as you get older. Other contributing factors include having:

• Inflammatory bowel disease, such as Crohn’s disease or ulcerative colitis

• A personal or family history of colon cancer

• A genetic predisposition

• A history of polyps

Some lifestyle factors can even make you more likely to develop colon cancer. They include:

• Living a sedentary lifestyle

• Eating a diet low in fruits and vegetables

• Eating a low-fiber, high-fat diet

• Eating processed meats

• Being overweight or obese

• Excessive alcohol and/or tobacco use

If you have these risk factors, it’s important to contact an gastroenterologist expert to determine your next steps.

What Should I Do If I’m At Risk?

A gastroenterologists office should be your first call if you determine you’re at risk for colon cancer. They offer a wide range

of diagnostic and screening tests to monitor your colon health and detect the earliest signs of cancerous changes.

In line with the Centers for Disease Control and Prevention guidelines, it is recommended that everyone receives colon cancer screening from age 4575, but regular screening is even more critical if you have known risk factors.

If your doctor knows you’re at risk for colon cancer, they may recommend you start screening earlier, continue screening past age 75, or have more frequent screens.

Your doctor can also walk you through some ways to mitigate your risk for colon cancer.

Can I Reduce My Risk?

Yes, you can reduce your risk for colon cancer, but there’s no way to guarantee you won’t ever get it. In addition to regular screenings, you should also

make lifestyle changes to support your colon health.

For starters, eat more whole foods, especially those rich in fiber, like vegetables, fruits, and whole grains. Your doctor may also recommend eliminating or reducing your consumption of processed meats, red meat, alcohol, and tobacco.

Regular exercise and maintaining a healthy weight are other ways to support both your colon and overall health.

Research shows a strong link between diet, weight, and exercise and colon cancer risk. Even the slightest changes can have a huge impact, so talk to us about what you can do to make healthy adjustments today.

If you have more questions about your risk for colon cancer, or if you’d like to schedule a screening, don’t wait to call your gastroenterologists office to schedule an appointment.

Expert Care,

Compassionate Approach

Prioritize Your Health, Starting Today

WHY CHOOSE US?

Innovative Treatments: From advanced diagnostics like Bravo pH Testing and PillCam SB Capsule Endoscopy to breakthrough procedures such as the STRETTA anti-reflux treatment and ORBERA™ gastric balloon, we stay ahead in GI care.

Comprehensive Care: Expertise in managing a full spectrum of GI conditions including Acid Reflux/GERD, Crohn’s Disease, and Liver Disease. Our individualized treatment plans are designed to meet your specific needs.

Experienced Specialists: Our board-certified gastroenterologists are dedicated to providing the highest quality care with years of experience in treating complex gastrointestinal and liver disorders.

Our Services Include:

Advanced Diagnostics: Bravo pH Testing, PillCam Endoscopy, GI Genius

Specialized Procedures: STRETTA, ORBERA™ Gastric Balloon IBD Infusion Center: Biologic and Injectafer Infusions Integrative Nutrition • Colonoscopy • Colon Cancer Screening

Ready to take control of your health?

Request an appointment today and experience the difference personalized care can make. Call us at 410-290-6677 or visit www.GastroMaryland.com to schedule online. Don’t wait – Call Today For A Consultation Tomorrow!

Chiropractic Care and Diabetes

Do you have an awareness of the potential diabetes rates among individuals born in the year 2000? Research suggests that one in every three men and two in every five women born in 2000 will likely develop diabetes in their lifetime. This disease ranks as the fifth deadliest in the US and continues to manifest as an escalating epidemic.

How can chiropractic care be of assistance in this scenario? It plays a significant role in contributing to the overall wellness of individuals diagnosed with diabetes. You might wonder about the

connection between chiropractic care and diabetes. When there’s an interference in the nerve supply from the upper neck or middle back—areas responsible for supplying the pancreas—its function becomes compromised, operating below optimal levels.

This compromise may affect the pancreas’ ability to produce enzymes required for digesting proteins, fats, and carbohydrates, as well as insulin production. This imbalance in blood sugar and digestion could lead to the onset of diabetes or hypoglycemia.

By allowing a chiropractor to address nervous system interference, you’re enabling your body to function at its peak potential. In addition to chiropractic adjustments, modifying your diet and exercise regimen as recommended by your chiropractor contributes to avoiding this prevalent epidemic.

Next time you engage in conversations about diabetes with family or friends, consider asking them if they’ve consulted a chiropractor recently. It could make a substantial difference in their health journey.

Alicia Kovach, DC Aric Adlam, DC Kristina Anderson, DC

Cardiovascular Disease Natural Approaches To Reduce Your Risk

Nearly one million Americans will die of heart disease this year; 2,400 will die each day of cardiovascular disease, an average of one death every 36 seconds.

Amazingly a single human body contains 60,000 miles of blood vessels!

Risk factors for heart and vascular disease include a family history of premature coronary artery disease, tobacco smoking, hypertension, diabetes, obesity, and most famously, elevated cholesterol levels. And even second

hand smoke exposure can increase risk of heart disease. And finally being post menopausal is a risk factor for women, and it is important to know that heart disease kills more women than does breast cancer. Important but lesser known risk factors are inflammation, infections, diet, and lifestyle.

What is not generally known is that as many as 50% of first heart attack victims have a normal level of cholesterol. So it is clear that there are factors other than total cholesterol involved. And that the most common first “symptom” of heart disease is sudden death! So this is not to be taken lightly.

An easily obtained blood test called C reactive protein (CRP) is a marker for inflammation in a person’s body and is an important risk factor for heart disease. Inflammation can come from infections, diets rich in saturated fats and sugar, toxins such as lead and mercury, metabolic syndrome and diabetes. The degree of inflammation in your body is at least as important as your cholesterol level.

Please see “Reduce Your Risk,” page 62

Sleep Disorders and Holistic Health Exploring Oxygen Therapy, Red

Light Therapy, and Salt Caves

Sleep is the foundation of health and wellness, yet millions of people struggle with sleep disorders such as insomnia, sleep apnea, and restless leg syndrome. Chronic sleep deprivation affects mental and physical health, leading to fatigue, impaired concentration, and a higher risk of conditions like heart disease and diabetes. While conventional treatments like medica-

tion and CPAP machines are widely used, holistic approaches are gaining traction for their ability to improve sleep quality by addressing underlying stress and promoting relaxation.

The Role Of Oxygen Therapy In Sleep Health

Oxygen therapy, commonly used for managing sleep apnea, delivers pure oxygen to help maintain steady oxygen levels during sleep. Beyond its clinical use, oxygen therapy supports relaxation by improving cellular oxygenation, which promotes better circulation and energy levels. Regular sessions can enhance overall sleep quality, especially for those who experience fragmented sleep due to poor breathing patterns.

Red Light Therapy For Stress Relief and Better Sleep Red light therapy is a non-inva-

Please see “Sleep Disorders,” page 66

Let’s start talking about living.®

Our Award-Winning Services

Companion Care: Everyone needs companionship. Whether it’s helping with chores, transportation, socialization or activities like puzzles, our caregivers keep your loved one engaged and active.

Personal Care: A daily routine can be one of the strongest reminders of what makes home feel like home. When those day-to-day tasks get harder, our caregivers help maintain the comfort and familiarity of home life.

Specialty Care: Even though every care situation is unique, Right at Home caregivers are not only experts in specialty care such as dementia and hospice care, but they’re trained to help you cope as well, so you can feel comfortable knowing your loved ones are in good hands.

Live-In Care: This service is when a trained caregiver lives with the client and provides care throughout the day, offering 24/7 support tailored to their needs. We provide long-term, and short-term live-in options ideal for those needing consistent, around-the-clock care or for family caregivers seeking a temporary break.

Home—there’s truly no place like it. It’s where your memories live, where you raised your family, and where friends gathered for life’s celebrations. It has been your sanctuary through the ups and downs of life, and it’s where you want to stay. At Right at Home, our mission is to help you remain where you feel most comfortable—because we exist to be your trusted guide in living well at home, wherever home may be.

Aging, disability, illness, or injury can make staying at home challenging. We believe no one should have to navigate the complex decisions and unexpected changes alone. As experts, we offer more than just care—we provide guidance and support through every step of the journey. Right at Home’s dedicated caregivers are passionate about making a difference in clients’ lives, knowing that with every person they help, they’re making the world a better place.

Aging In Place:

A Guide To Future Planning

Are you considering aging in place—staying in your own home rather than moving to a senior residence? While this choice can be ideal, it requires thoughtful planning and a commitment to healthy living.

1. Home Adaptations For Safety

Begin by assessing what changes your home may need. Consider installing grab bars in the bathroom, improving lighting, and eliminating steps for safety. Technology like medical alert systems and smart home devices can enhance convenience.

Plan for the future: Invest in renovations that accommodate potential mobility issues, such as wider doorways and accessible showers. A professional assessment from a home safety specialist can help identify hazards.

2. Financial Planning

Financial readiness is essential

for a smooth transition into retirement. Consult a financial advisor to review your savings and potential home expenses. Long-term care insurance can help cover home care costs if needed. Explore government programs: Medicare and Medicaid may assist with aging-related expenses, and veterans should check benefits from the U.S. Department of Veterans Affairs.

3. Legal and Health Care Preparation

Ensure your legal documents are up to date, including your will and health care directives. Regular medical checkups can help manage chronic conditions, while vaccinations, like the flu shot, are important for overall health.

4. Building a Support Network

Community connections are invaluable for those aging in place. Maintain relationships with family and

Please see “Aging In Place,” page 62

Loves bike rides with Mom. Can’t wait to do it more.

Knows it’s time to make a change. And CalvertHealth has a plan.

Has carried extra weight for years. Now, she’s ready to let it go.

Carrying excess weight can feel overwhelming, but it doesn’t have to de ne your life.

With CalvertHealth’s Non-Surgical Weight Management, you’ll have an expert-led team guiding your transformation every step of the way.

Now Treating Patients in Prince Frederick and Waldorf!

Start your journey to

Our team will work with you to design a personalized plan that may include:

Lifestyle Guidance: Sustainable habits for long-term success

Dietary Support: Nutritional advice to fuel your journey

Medical Solutions: Weight-loss medications to jump-start your transformation

Bariatric Surgery Helps Resolve Diabetes

What Is Diabetes?

Diabetes mellitus is a chronic metabolic condition in which the body has difficulty handling carbohydrates. This manifests as elevated blood glucose levels especially after meals. Acute effects may include frequent urination, thirst, lethargy, confusion and even a coma. Long-term effects involve multiple organ systems and may include

cardiovascular disease, kidney disease, nerve disorders, and visual disorders, among others. Each of these long-term complications has significant morbidity associated, for example, risk of heart attacks, risk of amputations, risk of kidney failure requiring dialysis, and risk of intractable neuropathy.

How Is Diabetes Diagnosed?

Diabetes is diagnosed by blood tests that evaluate the body’s glucose levels. This is usually done fasting or after a glucose challenge. Assessment of HBA1c (glycosylated hemoglobin) evaluates glucose control over a 2-3 month period.

Traditional Treatments

Treatment for diabetes has centered around a carbohydrate restricted diet, regular exercise, behavior modification and medical therapies. Medical therapies include various oral medications, insulin injectable

Please see “Resolve Diabetes,” page 62

Increase Your Self-Confidence

A Beautiful Smile –Your Secret Weapon

Self-confidence and success have a symbiotic relationship; they exist in progress harmony. Perception is reality – the more self confidence you have, the more likely you are to succeed.

Developing Your Self-Confidence

Although many of the factors affect-

ing self-confidence are beyond your control, there are a number of things you can consciously do to build self-confidence.

A beautiful smile is one thing that you can control, and having a beautiful smile increases confidence and self-esteem. As your self-confidence builds you will feel better about yourself. When you feel better about yourself, other people will see you in a more positive light.

A beautiful smile makes you more attractive – smiling attracts people to you. Smiling more often changes your mood, and makes you look younger, hence you also feel younger.

What Makes a Smile Beautiful?

While not every person is born with a perfect smile, qualities such as straightness, cleanliness or whiteness of teeth may come to mind. Thanks to developments in the field of cosmetic dentistry,

Sex Hormones Protect Your Heart

YES! Sex hormones do more than impact your sex life; they affect your heart health, too. Heart disease is the leading cause of death for both men and women. And, while most people know that high blood pressure, excess weight, and high cholesterol levels can put them at risk for heart disease, not many know that the sex hormones – estrogen, progesterone, and testosterone – play a critical role in heart health.

Researchers at the University of Pittsburgh, Graduate School of Public Health, report the changing hormone levels that accompany the transition to menopause negatively impact a woman’s cholesterol, “leaving her at greater risk for heart disease.”

However, “….new clinical data show that cardiovascular mortality risk is reduced among HRT users,” according to Sex Steroids’ Effects on Brain, Heart and Vessels . And “estrogen treatment resulted in a significantly lower rate of atherosclerosis progres-

sion among early post-menopausal women,” according to a 2016 article in the New England Journal of Medicine

“Lower levels of testosterone… are associated with higher cardiovascular risk in both men and women,” states an article in a 2015 Current Cardiology Reviews. In addition, a 2013 Journal of Sexual Medicine reports, “testosterone deficiency has been associated with metabolic syndrome and type 2 diabetes.” Both of these illnesses greatly increase the risk of heart disease.

Here’s how sex hormones influence cardiovascular health:

Estrogen:

• Improves arteries’ flexibility and strengthens their interior walls

• Reduces inflammation in the heart

• Helps maintain healthy cholesterol levels

Progesterone:

• Increases “good,” HDL cholesterol

• Improves dilation of blood vessels

• Lowers blood pressure

Please see “Sex Hormones,” page 62

Dentures & Denture Repairs

ThunderBird Dental Office affectionately known as the ThunderBird, has been providing dentures and denture repairs for over 40 years.

Our dental lab is on our premises which allows us to deliver same day repairs and relines. We also perform extractions for immediate dentures.

Our service is prompt and personalized and our price is right, so come on in!

Got hormones?

UNLOCKING BETTER SLEEP

The Benefits of Dental Sleep Appliances Over CPAP

In the realm of sleep disorders, obstructive sleep apnea (OSA) stands out as a prevalent condition that affects millions worldwide. While Continuous Positive Airway Pressure (CPAP) therapy has long been considered the gold standard for treating OSA, dental sleep appliances have emerged as a promising alternative, offering unique benefits for dental health. Let’s delve into the advantages of these sleep appliances over CPAP and how they contribute to improved oral well-being.

Understanding Obstructive Sleep Apnea (OSA)

Before exploring the benefits of sleep appliances, it’s essential to grasp the nature of OSA. This sleep disorder involves the repeated obstruction of the upper airway during sleep, leading to fragmented sleep patterns, daytime fatigue, and potentially severe health complications. CPAP therapy mitigates OSA symptoms by delivering a continuous stream of air to keep the airway open. However, adherence to CPAP treatment can be challenging due to discomfort, noise, and inconvenience.

Embracing Dental Sleep Appliances

Dental sleep appliances, also known as mandibular advancement devices (MADs) or mandibular repositioning appliances (MRAs), offer a non-invasive and patient-friendly alternative to CPAP therapy. These custom-made oral devices resemble sports mouthguards and are worn during sleep to reposition the lower jaw and tongue, thereby preventing airway collapse and promoting unobstructed breathing.

Enhanced Comfort and Compliance

One of the primary advantages of dental sleep appliances is their superior comfort compared to CPAP masks and machines. Many individuals find CPAP therapy cumbersome and restrictive, leading to poor adherence and treatment discontinuation. In contrast, sleep appliances are discreet, lightweight, and do not require external power sources, fostering greater acceptance and compliance among patients.

Preservation of Oral Health

Unlike CPAP therapy, which may cause dry mouth, nasal congestion, and irritation, dental sleep appliances pose minimal risk to oral health. CPAP users often experience dryness and discomfort in the mouth and throat due to the forced air pressure delivered through a mask. In contrast, sleep appliances maintain natural breathing through the nose, reducing the likelihood of oral side effects such as xerostomia and dental decay.

Customized for Optimal Fit and Function

Dental sleep appliances are individually tailored to each patient’s unique oral anatomy, ensuring a precise fit and optimal therapeutic efficacy. Through digital impressions and advanced manufacturing techniques, dentists can design custom appliances that comfortably reposition the jaw without compromising dental occlusion or temporomandibular joint (TMJ) function. This personalized approach maximizes treatment outcomes while minimizing the risk of adverse effects.

Improved Quality of Life

By alleviating OSA symptoms and promoting restful sleep, dental sleep appliances contribute to a better quality of life for individuals affected by sleep disorders. Patients report enhanced daytime alertness, mood, and cognitive function following successful treatment with sleep appliances. Moreover, the non-invasive nature of these devices eliminates the need for surgery or invasive procedures, offering a safer and more accessible solution for managing OSA.

A Valuable Option

In conclusion, dental sleep appliances represent a valuable alternative to CPAP therapy for individuals seeking effective treatment for obstructive sleep apnea. With their superior comfort, minimal oral side effects, and customizable design, sleep appliances offer a patient-centered approach to managing sleep disorders while prioritizing oral health. By embracing these innovative devices, patients can enjoy restorative sleep and improved well-being, heralding a brighter future for dental health and sleep medicine.

Your colon plays a vital role in your overall health, acting as the body’s waste management system. A healthy diet and regular exercise not only keep your colon functioning smoothly but also reduce the risk of serious conditions like colorectal cancer, diverticulitis, and chronic constipation. Here are some tips to help you support your colon health through lifestyle choices.

Focus On Fiber

Dietary fiber is essential for a healthy colon. Fiber helps to regulate bowel movements, reduce the risk of constipation, and promote a healthy gut microbiome. Foods rich in fiber include fruits, vegetables, whole grains, legumes, nuts, and seeds. Aim for 25-30 grams of fiber daily, and remember to increase your water intake as your fiber intake rises to avoid bloating or discomfort.

Stay Hydrated

Water is as crucial for your colon as fiber. Proper hydration helps keep your stool soft, making it easier to pass and reducing the risk of straining or developing hemorrhoids. Drink at least 8 cups of water daily, more if you’re physically active or live in a hot climate.

Limit Red and Processed Meats

Studies have shown that consuming large amounts of red and processed meats can increase the risk of colorectal cancer. Instead, opt for lean proteins like fish, poultry, and plant-based alternatives. Incorporate heart-healthy fats, such as those found in avocados and olive oil, to round out your diet.

Exercise Regularly

How a Healthy Diet and Exercise Support Colon Health

Physical activity is not just good for your heart and muscles—it benefits your colon too. Regular exercise stimulates the muscles of the colon, helping to prevent sluggishness and reducing the risk of constipation. Aim for at least

30 minutes of moderate exercise most days of the week, whether it’s walking, cycling, or yoga.

Watch For Warning Signs

While a healthy diet and exercise can do wonders for colon health, it’s essential to be aware of potential warning signs like persistent changes in bowel habits, unexplained weight loss, or abdominal

pain. Regular screenings, such as colonoscopies, are crucial for early detection of issues, especially if you are over 45 or have a family history of colorectal cancer. By making simple dietary and lifestyle changes, you can maintain a healthy colon and reduce the risk of disease. Start today—your colon will thank you!

Our practice has been providing quality care to the Washington Metro community for over 25 years. Our physicians are board-certified in colon and rectal surgery and have specialty training in the diagnosis and treatment of colon and rectal diseases and disorders. Our mission is to provide you with exceptional service in a friendly and professional environment.

A New Dawn For Diabetic Neuropathy

Find Relief and Reclaim Your Life With Georgetown Pain Management

Are you tired of living with the constant pain of diabetic neuropathy? Do you long for a breakthrough that can help you manage your symptoms without relying on medications and their unwanted side-effects? We have exciting news for you! Georgetown Pain Management, with offices in Greenbelt, MD, and Washington, DC, is offering a revolutionary and minimally invasive treatment called spinal cord stimulation that brings newfound hope to patients like you. This innovative option can provide relief from the agony of diabetic neuropathy, allowing you to regain control over your life. Read on to learn how this groundbreaking treatment could be the key to your pain-free future! Say Goodbye to Medications and Their Side-Effects

For years, traditional treatments for diabetic neuropathy have relied heavily on medications. While these drugs may temporarily mask the pain, they often come with many side-effects, including drowsiness, dizziness, and even memory loss. It’s time to break free from the shackles of medication and embrace a more effec tive and sustainable approach.

Welcome Minimally Invasive Spinal Cord Stimulation

Georgetown Pain Management is proud to offer minimally invasive spi nal cord stimulation, a breakthrough treatment for diabetic neuropathy. This cutting-edge therapy involves the use of a small device, similar to a pacemaker, that is implanted near your spine. Through minimally invasive techniques, the device emits gentle electrical pulses, which interrupt the pain signals traveling from your nerves to your brain, effectively reducing or even eliminating the pain associated with diabetic neuropathy.

giving you the confidence to make an informed decision about whether minimally invasive spinal cord stimulation is right for you.

Reclaim Your Life, One Step At a Time

Imagine waking up in the morning without that constant burning pain. Imagine being able to walk, exercise, and enjoy life’s simple pleasures without being hindered by neuropathy. With minimally invasive spinal cord stimulation from Georgetown Pain Management, these dreams can become your reality. By minimizing or eliminating your pain, this treatment enables you to take back control of your life, empowering you to engage in activities you once thought were impossible.

Why Choose Georgetown Pain Management?

Georgetown Pain Management is a trusted name in comprehensive pain management. With our commitment to patient care and our expertise in minimally invasive spinal cord stimulation, we have helped many individuals find relief from diabetic neuropathy.

Our team of highly skilled specialists will evaluate your condi tion thoroughly and design a personalized treatment plan tailored to your specific needs. With our state-of-theart technology and compassionate ap proach, we are dedi cated to helping you find relief and enhance your quality of life.

Take the First Step Towards Pain-Free Living

Don’t let diabetic neuropathy dictate your life any longer.

Assistant

Alexander

Associate Medical Director

Assistant Professor of Clinical Anesthesiology, Georgetown University School of Medicine

Take charge of your health and embark on a journey towards a pain-free future with Georgetown Pain Management. Make an appointment at our Greenbelt, MD, or Washington, DC offices today to be evaluated for new treatment options, including the groundbreaking minimally invasive spinal cord stimulation. We are

Experience Relief Temporarily, Commitment-Free

One of the most exciting aspects of minimally invasive spinal cord stimulation is that it can be tried temporarily before making a longterm commitment. Our skilled and compassionate team at Georgetown Pain Management will work closely with you to customize a trial period, during which the device is used on a temporary basis. This allows you to experience the benefits firsthand,

here to support you every step of the way, providing the care and expertise you deserve. Treatment is covered by most insurance companies. Call 202935-6980 for a free insurance verification. Schedule an evaluation today! The time for a life without the burden of painful diabetic neuropathy is now. Break free from your limitations.

Do Something About Your PAIN

Netsere Tesfayohannes, MD, ABA, ABAP Medical Director
Netsere Tesfayohannes, MD, D.ABA,

Chinese Medicine For Chronic Low Back Pain

Understanding Lower Back Pain

Lower back pain affects a significant majority of adults in the United States, with approximately four out of five experiencing this discomfort at some stage of their lives. Typically, back pain can be categorized as acute,

lasting from a few days to a few weeks, or chronic, persisting for more than three months. While various factors can contribute to lower back pain, the primary culprits often include muscle strain and degenerative disc disease.

In the context of traditional Chinese medicine (TCM), lower back pain can be attributed to external influences such as severe weather conditions, injuries, and

Wholelife Acupuncture & Fitness Center

Quansheng Lu, CMD, PhD, L.Ac www.wholelifeherb.com • luquansheng@gmail.com 301-340-1066 • fax: 301-340-1090

Guest professor, Henan University of Traditional Chinese Medicine (TCM) Chief TCM Physician, WFCMS; M.S. in TCM, Beijing University of TCM PhD in integrated medicine, China Academy of Chinese Medical Sciences Fellowship, Georgetown University & Children’s National Medical Center 3 patents, 8 books of TCM, 30 papers, 30+ years of experience in TCM

Low back pain • eczema • arthritis

allergies

cough • insomnia • paralysis obesity • nephritis

hepatitis

infertility • PMS • side effects of cancer treatment

416 Hungerford Drive, #300 Rockville, MD 20850 5022 Dorsey Hall Drive, #101 Ellicott City, MD 21042

Dr. Tiffany Daniel, EdD

Degrees: BS in Psychology, MDiv; Doctorate in Christian Education, EdD

Certificates: Behavioral Health and Nutrition, Personal & Small Group Fitness Instructor, Certified Health & Wellness Coach, IIN Alumni, MRT & SEL(F) Instructor,

Yoga 200Level and Zumba Instructor

Training: Mindful Movement and Breathwork

Areas of Interest: Healthy Eating and Regular Exercise

Specialties: Nutrition, Meal Planning, Weight Loss, Rehabilitation and Maintenance, and Standards for Excellence Licensed Consultant

Practice Philosophy: Your Health is Your Wealth

Hosts a monthly women veterans peer support group with Peer Outreach Solutions, Inc., (Posi) for Sista’s of the Posi.

Give An Hour, Ambassador supporting veterans and their families. Veteran Yoga Project, State Director for Yoga - MRT

Breathe for Change, Yoga Instructor Yoga - SEL(F) Mental Health First Aid Certified

Hobbies: Reading, Researching Preventive Measures for Autoimmune Diseases and other Health Conditions plus Advocate for Veterans and Mental Health Awarenes

137 National Plaza Suite #300, Oxon Hill, MD www.ctldomGroup.com 202-498-5678

excessive sexual activity. According to TCM theory, these factors can lead to a blockage of Qi and blood, believed to be the root cause of lower back pain if concentrated in the lower back region. Traditional Chinese Medicine offers a range of practices, including Chinese herbal medicine, acupuncture, moxibustion, cupping, scrapping, tuina, qi-gong, and specific exercises, with acupuncture and Chinese herbal medicine as key components.

The Role of Acupuncture in Managing Lower Back Pain

Lower back pain often hampers daily activities and stands as the second most common reason for physician consultations. Extensive utilization of acupuncture for treating lower back pain has been noted in previous studies. A meta-analysis aimed to evaluate the efficacy of acupuncture in managing lower back pain by examining 33 randomized, controlled trials. These trials were categorized based on acute or chronic pain, the style of acupuncture used, and the control groups involved.

The analysis indicated that, as a primary outcome for relieving chronic pain in the short term, acupuncture proved significantly more effective than sham treatment or no additional intervention. Consequently, the study inferred that acupuncture could effectively alleviate chronic lower back pain.

Frequency and Safety Of Acupuncture Sessions

The number of acupuncture sessions required depends on the nature of the back pain. Generally, acute back pain might necessitate 1-3 sessions, while chronic back pain may require 6-16 sessions for effective management. For optimal treatment outcomes, a twice-weekly session frequency is recommended.

Acupuncture is considered a safe treatment. There can be occasional side effects such as dizziness, local internal bleeding, dermatitis, nerve damage, or increased pain.

Healthy Heart Month

The month of February has been nominated Healthy Heart Month. Why February? Could it be because it’s the month of Valentine’s Day, where the symbol is the red heart? Or could it have something to do with romance, chocolates and wine?

Ironically, romance, chocolates and wine are good for the heart too for various reasons, so why don’t we celebrate Valentine’s Day all month instead of heart disease? And why is it that heart disease plagues women more so than men?

The American Heart Association created the Go Red for Women Campaign in 2003 to help increase the awareness of women’s heart disease and studies. The month of February has been designated Healthy Heart month to focus on heart studies, check-ups and tests to learn more on preventing heart disease and heart attacks. However, the most common cause of death in women is still heart disease.

So let’s talk about some of the things that can be done to help prevent heart disease in both men and women. This list is called the “Simple Seven” and it is very simple to maintain for your heart’s sake.

Because the heart is a muscle, if these conditions are detected in time, they can possibly be prevented with daily physical activity, which increases your length and quality of life.

If you get at least 30 minutes of moderate physical activity each day, five times per week, you can almost guarantee an improvement.

Learn to control your cholesterol

Please see “Healthy Heart,” page 66

Quansheng Lu, CMD, PhD, LAc

Balance Therapy

Vestibular Rehabilitation

Orthopedic Rehab

Neurological Rehab

Pediatric Therapy

Sports Injury Rehab

Worker’s Compensation

Concussion Management

Hand Therapy

Pelvic Floor Therapy

TMJ Management

Ergonomic & Postural Training

Strength & Conditioning

Gait Training

Customized Foot Orthotics

Electrical Stimulation

Nerve Stimulation

Iontophoresis & Phonophoresis

Manual Therapy/Joint Mobilization

Soft

Auto

David’s

Featured Health

Karl A. Smith, DDS, MS

Meet Periodontist, Karl A. Smith, DDS, MS

Dr. Smith is a dentist who also specializes in treatment of gum disease, cosmetic smile enhancement procedures, and dental implants to replace teeth that are missing. Although no one likes to go to the dentist, he strives to make your visits as comfortable and pleasant as possible. He strongly believes that value and comfort is an important part of quality dental care. The right to choose a dentist and provider of care is an important freedom. Referrals from patients and friends of the practice are welcome. We also work closely on referral from your family dentist, but a referral is not required to visit our office. Everyone that is interested in keeping their teeth for a lifetime should see a periodontist for screening.

Dr. Smith’s colleagues describe him as a gentle, easy-going person that provides expert care to patients. People come from near and far to experience the comfort of his office and patient-oriented team. He has been consistently voted by his peers a Top Dentist in Washingtonian Magazine , and Northern Virginia Magazine

WHAT TO EXPECT ON A VISIT

WITH DR. SMITH:

Dr. Smith says that “From the first phone call you will be treated with care and concern for your unique dental condition. Every question you have ever had about your dental health will be covered as well as any financial considerations you may have. It is my goal to care for each and every person that comes through my doors and to exceed your expectations from a dental office. I promise to always give you honesty and accuracy when it comes to your treatment. I will never start treatment without your full knowledge, understanding, and acceptance of your condition.”

Degrees, Training and Certificates:

Doctor of Dental Surgery Degree from the University of California, Los Angeles 1981. General Practice in the U.S. Air Force Dental Corps.. Successfully completed three additional years of advanced training in the specialty of Periodontics, Dental Anesthesia and Implants in 1992 at the University of Texas Health Science Center, San Antonio and Wilford Hall USAF Medical Center. Retired from the U.S. Air Force as a Lieutenant Colonel in 1996. Fellowship in the Academy of General Dentistry and in DOCS, a sedation organization for dentists.

12200 Annapolis Road Suite #116 Glenn Dale, MD 20769

Board Certified, Ophthalmology by the American Board of Ophthalmology

Degrees, Training and Certificates: UCLA Medical School; Yale University Hospital for Residency; Louisiana State University for Cornea and Refractive Fellowship

Professional Memberships/Associations: American Academy of Ophthalmology; American Society of Cataract and Refractive Surgery; International Society of Refractive Surgery

Areas of Interest: All laser custom LASIK; Cataract Surgery; Botox; Dermal Fillers; Cornea Comprehensive Ophthalmology

Practice Philosophy: Envision Eye and Laser is committed to delivering superior ophthalmic care with state-of-the-art technology and patient education in a caring, compassionate environment. We cater to a diverse population of adults and work with your primary care physician to improve the quality of your overall health and life. Your best vision is our focus.

Featured Health Professionals

Robin R. Robinson, AuD

Dr. Robinson founded Hearing Solutions Audiology Center to provide the excellence that patients deserve when it comes to their hearing health. With emphasis on diagnostics and aural rehabilitation with advanced technology instruments, Dr. Robinson has been practicing for over 20 years and is board certified by the American Board of Audiology. She received her doctoral degree in Audiology from the Arizona School of Health Sciences and her Master’s and Bachelor’s of Science degrees from Radford University in Virginia, graduating with Magna Cum Laude honors. As an audiologist, Dr. Robinson has worked for large medical hospitals as well as ENT specialists, but she enjoys the personalization and patient care she is able to provide in a private practice like Hearing Solutions. As a native Virginian, Dr. Robinson still enjoys outdoor activities such as boating and kayaking on the weekends. When Dr. Robinson and her husband aren’t attending their children’s sporting events, they can usually be found enjoying the waterways of Maryland.

TMJ & Sleep Apnea Treatment

Brown’s practice focuses on TMJ, sleep apnea and orthodontics. This allows Dr. Brown and his team to provide individualized, focused care for patients dealing with these specific issues. Every day, his practice helps patients of all ages with facial development, sleep issues, chronic headaches, migraines, neck pain, movement disorders, and much more. His training also includes multiple disciplines involving the cranial bones in the skull, and the discs in the jaw joints. Through treatment, Dr. Brown is able to reduce these symptoms, align cranial bones, avoid extractions, and greatly reduce the need for traditional braces.

His expertise allows him to identify issues early on which promotes proper facial development using dental appliances. If there is an internal imbalance, whether an adult or child, the body does not develop or function properly. When the cranial bones are lined up correctly, patients are able to function, sleep and generally live better.

With that in mind, the team at Sleep & TMJ Therapy takes a whole-body approach when treatment planning. They work hand in hand with physical therapists and osteopathic doctors for a better success rate. Dr. Brown is devoted to helping patients of all ages live a symptom free life.

Degrees & Certifications

Dr. Brown earned his degree from Georgetown Dental School and completed residencies with Emory University Hospital for Dental Sleep Medicine and the ALF Appliance Therapy Institute.

Outside the Office

When not seeing patients, Dr. Brown is a sought-after speaker. He has lectured all over the world, including D.C., Dubai, Seoul, London, Norway and Toronto. He has also been featured on Channel 9’s Good Morning Washington, several podcasts, and numerous magazines and journals.

Professional Affiliations

Dr. Brown is a diplomate of the American Academy of Craniofacial Pain, a member of the American Academy of Dental Sleep Medicine, American Academy of Gnathological Orthopedic, Academy of Integrative Pain Management American Dental Association, a Fellow of the American Academy of Craniofacial Pain, and Legacy Provider for the ALF Interface Academy.

Do you have TMD or Sleep Apnea?

TMD Symptoms: Noise in the jaw joints when opening and closing your mouth, difficulty chewing, limited opening, tender facial muscles, ear ringing, uncomfortable bite, jaw locking, headaches, migraines, dizziness, vision issues as well as pain in the jaw area which can radiate to the ears, head, neck, shoulders, and back.

Sleep Apnea Symptoms: Snoring, waking up gasping for air, feeling tired and irritable in the morning, difficulty controlling weight, concentration problems, morning headaches, episodes of not breathing, waking with a sore throat, forgetfulness and mood changes.

If you believe you may be suffering from TMD or Sleep Apnea, don't wait... Call today to schedule a consultation with Dr. Brown: 703-821-1103.

Meet Robin R. Robinson
Meet Jeffrey L. Brown
Dr.

Featured

Tulani K. Washington-Plaskett, MD

Dr. Washington-Plaskett completed her medical school training at Meharry Medical Col lege in Nashville, TN. She completed her Internal Medicine training at Morehouse School of Medicine in Atlanta, GA. She went on to pursue her Cardiology training at Boston Medical Center in Boston, MA where she also decided to stay and complete an additional year of training in Interventional Cardiology. She is a native of Fort Washington, MD and was eager to come back to familiar roots to start her career as a Cardiologist.

Dr. Washington’s interest in medicine started early as both her parents were in the medical field. Her inspiration is derived from the sacrifice of her parents as well as countless other health care workers that dedicate their careers in service to others.

Her specific interests in Cardiology include coronary artery disease and prevention, wom en’s cardiovascular health, and health disparities. Coronary heart disease or disease of the arteries that supply the heart is highly prevalent in the US with an estimated 20.5 million Americans with the diagnosis 2. Among women, it is often difficult to recognize the signs and symptoms of a heart attack and can often get overlooked1

Dr. Washington looks forward to working with and delivering care to the patients within the southern Maryland area. She truly believes knowledge is power and arming patients with the knowledge and tools necessary to guide them through their journey to better car diovascular health.

Alexander C. Nnabue, OD, PA

Meet Dr. Alexander Nnabue:

Educated in both Africa and the United States, Dr. Nnabue holds two degrees as Doctor of Optometry. Graduating from Imo State University (1988) and then from Pennsylvania College of Optometry (1994). Dr. Nnabue’s professional excellence has allowed him the opportunity to teach Optometry in the following international countries: Israel, Nigeria, and Norway. Currently, Dr. Nnabue is an adjunct faculty member at Pennsylvania College of Optometry where he teaches advanced clinical procedures to other Optometrist across the world. He is also a Senior Examiner with the National Board of Examiners in Optometry. Dr. Nnabue passion for providing quality eye health care to all including the underserved, has lead him to lead bi-annual “Medical Mission” trips to Africa. These “Medical Missions” are life changing not only for the people receiving care, but for the medical team that take part in these missions. Through out the course of his professional career, Dr. Nnabue has received numerous awards and citations for the excellence he brings to the optometry industry. Professional Memberships and Associations: He is a member of the American Optometric Association and Maryland Optometric Association.

Practice Locations: Contact Dr. Nnabue at one of our locations: Clinton: 301-877-1770 • Greenbelt: 301-614-3937 Hyattsville: 301-434-3937 • Mitchellville: 301-324-9500 Silver Spring: 301-681-9797 • Frederick: 301-694-7557

Bergina Isbell, MD

Meet Bergina Isbell

Dr. Bergina Isbell, MD, is a Board-Certified Psychiatrist trained at Mayo Clinic and Johns Hopkins. She specializes in trauma care and supporting individuals with Special Needs, including those on the Autism Spectrum. As Founder and Chief Medical Officer of Led Life LLC, Dr. Bergina offers compassionate, whole-person psychiatric care both in-person and via telehealth, helping patients “grow in grace.”

Dr. Bergina provides Spravato, Ketamine, and TMS (Transcranial Magnetic Stimulation) for depression, anxiety, and other conditions. She is the bestselling author of Victory Over Depression With and Without Medicines as well as Come to the Table, a devotional for caregivers and families.

With degrees in Public Health from Johns Hopkins University, a Doctorate in Medicine, and Psychiatry Residency at Mayo Clinic, Dr. Bergina is highly qualified and supervises a team of Nurse Practitioners, Psychologists, and other mental health providers. Learn more at www. SpravatoWithLedLife.com

LED LIFE CONCIERGE PSYCHIATRY

Featured Health Professionals

Christa Bellanca, LCSW-C

Connecting Women To Lifelong Learning, Exploration, and Empowerment.

Meet Christa Bellanca

In therapy with me, expect a blend of warmth, authenticity, and laughter as foundational elements. Establishing a secure, trusting relationship is my priority, seeing healing emerge through connection. Embracing Dolly Parton’s insight that “laughter through tears is my favorite emotion,” I avoid taking myself too seriously, recognizing that defensiveness hinders growth – a lesson learned through experience and parenting.

Raised by a resilient single mother, I inherited values of strength, perseverance, and compassion. These principles not only shape my therapeutic practice but also form the core of our Betty Center’s ethos. My unique journey from journalism to social work after raising my children led me to obtain my Masters in Social Work at 47. My personality encompasses contrasts—I relish yoga, loud concerts, and the outdoors as much as quiet moments with family, books, and cozy cups of tea. I’m a devoted reader, a passionate Washington football fan, and an adept cook (but not a baker!). Additionally, I indulge in true crime podcasts and Dateline/48 Hours, though that’s our little secret. In therapy, I specialize in aiding individuals navigating transitions: divorce, empty-nesting, and other major life changes. My expertise lies in addressing anxiety, depression, ADHD, trauma, and relational challenges, employing diverse evidence-based methods tailored to each client’s needs. I believe in a personalized approach, fostering a secure therapeutic relationship where you feel truly heard and understood. Education: I hold an MSW from the University of Maryland (2017) and a BA in Communications with a Women’s Studies Minor from the University of Delaware, graduating Magna Cum Laude in 1992.

Maureen Vernon, PhD

Meet Maureen Vernon

Dr. Maureen Vernon has been helping adults, children, couples, and families learn positive coping strategies to address their emotional needs. As a Board Licensed Psychologist for 25+ years, she continues to offer her services as a private therapist; divorce/ child custody evaluator and mediator; parenting coordinator; conducting forensic and abuse assessments; and conflict resolution consulting.

Degrees & Training: PhD in Psychology and Evaluation- Catholic University of America, Washington, D.C.; Master of Science in Counseling/Clinical Psychology- Loyola University of Maryland.

Professional Memberships: American Psychological Association; Maryland Psychological Association; Association of Family & Conciliation Courts; Professional Academy of Custody Evaluators; Anne Arundel County Psychological Association; Interests & Hobbies: Movies, college sports (Notre Dame & Villanova), her yellow lab Keenan, studying history, and travel.

Volunteer Highlights: Beans & Bread; Boy’s Town; St. Mary’s Annapolis; AA County Social Services Holiday Sharing; St. Vincent DePaul; AAMC Pediatric ER; and Backpacks for Kids.

Professional Statement: Life can be challenging and there are times when we could all use a little extra help…If you are feeling anxious, alone, struggling to manage all the demands of your life, or experiencing problems with your spouse, child, parent, sibling, friend, or coworker – you can trust that I will listen and offer the tools to improve those relationships.

Featured Health Professionals

E. Taylor Meiser, Jr., DDS

Meet E. Taylor Meiser, Jr.

Degrees/Training: DDS, University of Maryland Dental School; General Practice Residency, San Diego Naval Hospital; Prosthodontics Residency, Naval Dental School, Bethesda; U.S. Navy Dental Corps Officer, Commander, USN, (retired).

Professional Memberships: American Dental Association, Maryland State Dental Association, Anne Arundel County Dental Society, Annapolis Dental Study Club, Chesapeake Implant Study Club, University of Maryland Alumni Association.

Practice Philosophy: To follow the “Golden Rule” in all aspects of professional dental care, providing outstanding quality dentistry in a caring, comfortable and comprehensive manner. Lighthouse Family Dentistry will “Light Up Your Smile.”

Trusted

Foot Care

Meet Howard Horowitz

Dr. Horowitz arrived in the Washington metro area in 1986 and established Bowie Foot and Ankle later that year. He quickly joined the staff at the newly opened Bowie Health Center Surgery Center. Dr. Horowitz enjoys the general nature of his practice and sees patients of all ages with a variety of foot problems. He especially enjoys dealing with the orthopedic nature of many podiatric problems, whether they be of recent onset or long standing. He has found that chronic problems affecting the ankle, knee, hip or back, can often be traced to recent symptoms within the foot, or vice versa.

Dr. Horowitz has been practicing in the Bowie area for over 25 years. He graduated from the Illinois College of Podiatric Medicine with a Doctorate of Podiatric Medicine and did his postgraduate training in podiatric medicine and surgery in association with the Podiatry Group of Greater New York and the New York College of Podiatric Medicine. Dr. Horowitz remained in New York for an additional two years to practice with several of his training program’s attending doctors in order to further hone his medical and surgical skills. Dr. Horowitz continues to expand his knowledge in podiatric medicine, in an effort to bring advances in treatment and technology to his patients.

Professional Affiliations: American Podiatric Medical Association, Maryland Podiatric Medical Association and American Academy of Podiatric Sports Medicine

Special Interests: Chronic foot and ankle musculoskeletal issues, Orthopedics, Surgery

Board Certifications: Podiatric Surgery - American Board of Medical Specialties in Podiatry; Podiatric Surgery, Podiatric Orthopedics - American Board of Podiatric Orthopedics and Medicine, Prosthetics, Custom Orthotic / Brace Fabrication and Shoe Modification

Family: Wife: Karin and Children: Aliza and Talia

Harmon, Jr., D.D.S., M.S.D., P.A.

Degrees, Training and Certificates: Master of Science in Dentistry in Orthodontics; DDS and BS from Case Western Reserve University in Cleveland, OH

Professional Memberships/Associations: Assistant Clinical Professor at the University of Maryland, Department of Orthodontics; Adjunct Assistant Professor at Case Western Reserve University, Department of Orthodontics, Cleveland OH; American Association of Orthodontists; President Mid-Atlantic Society of Orthodontists; Past President of the Maryland Society of Orthodontics; Alpha Phi Alpha Fraternity, Inc.; Former Member of Bishop McNamara High School’s Board of Directors; Former member Prince George’s County Community Education Foundation Board of Directors.

Se Habla Español

Areas of Interest: Building and networking computers, golf, and football

Family/Hobbies/Interests: Children, Kennedy and David III; Wife: Shonda W. Harmon, MBA, MPA

Featured Health Professionals

Local Professionals Empowering and Encouraging People To Live Healthier

Janice Trent, AuD

Craig A. Smith, DDS

Hear the Sweet (((Sounds))) of Life General Dentistry/ Family Dentist

10111 Martin Luther King Jr. Highway, Suite #102 Bowie, MD

6196 Oxon Hill Road Suite #240, Oxon Hill, MD 301-429-2920

Meet Janice Trent

Dr. Trent has a passion for helping people. She has practiced Audiology since 1984, in a number of clinical settings. Her diverse career has included 16 years of teaching and clinical supervision at Howard University, Washington, DC and Temple University, Philadelphia, PA. Dr. Trent has also worked as a clinical audiologist in hospital settings and private ENT practices.

Education:

Clinical Doctoral Degree – Audiology-University of Florida, Gainesville, FL

Master of Education – Audiology- Northeastern University, Boston, MA

Bachelor of Science – Communication Sciences and Disorders – Hampton University, Hampton, VA

Dr. Trent holds her Maryland State Licensure in Audiology. She is a Certified Clinical Audiologist (CCC-A) through the American Speech-Language-Hearing Association (ASHA). Presently, she serves on the Board of Directors for ASHA as Vice President for Audiology Practice.

Meet Craig A. Smith

Dr. Craig Smith is committed to health through dentistry, ensuring you have optimal oral health which contributes to your overall health and well-being.

Quality service, advanced technology and a passionate commitment to education means patients receive the best that dentistry has to offer.

Dr. Smith’s Philosophy: Always listen to the patient and in turn respond in an educational manner so that the patient will understand.

Degrees, Training, and Certificates: Doctor of Dental Surgery (D.D.S.) - Howard University College of Dentistry; 2 Year General Practice Residency; Chief Resident - Harlem Hospital Center (Affiliate of Columbia University); Certified Invisalign Provider

Professional Memberships: National Dental Association

Areas of Interest: All phases of dentistry - cosmetic, implant, crowns and bridges, root canals, veneers, preventive care, Invisalign and whitening.

Hobbies: Mountain biking, racquetball, golfing, and boating. My interests are to continue to deliver quality dentistry and to further reach out to the community to help to increase the peace.

Additional: Many patients do not understand the importance of a healthy mouth, as health problems could arise. I want to educate all of my patients on health through dentistry.

(Regular Price $699) Expires 02/28/25

Featured Health Professionals

Local Professionals Empowering and Encouraging People To Live Healthier

Paul V. Beals, MD, CCN

Integrative Family Physician

Meet Paul V. Beals

Dr. Beals specializes in holistic therapy for cancer and heart disease and is an expert in chronic lime disease.

Degrees, Certifications and Professional Memberships:

Board Certified in Family Practice

Certified Clinical Nutritionist (CCN)

MD, Temple Medical School, Philadelphia PA

Member of the American College of Advancement in Medicine (ACAM) – Certified Chelation Therapist

Member of ILADS, International Lyme Associated Disease Society

Others:

Rotating internship, Harrisburg PA Flight surgeon in the U.S. Air Force

Former volunteer instructor, Georgetown Medical School, introductory course on Alternative Medicine

Frequent guest on national TV and radio talk shows discussing complementary and alternative medicine

35 years in practice

We Go The Extra Mile By Giving You The Best Of Both Worlds: Conventional and Alternative Medicine

Holistic Medicine Nutrition

We believe in eating healthy food as close to its natural state as possible for the best health for you and your family. Our holistic nutrition includes unrefined, unprocessed, and organic whole foods.

Holistic Therapy Diabeties and Heart Disease

Our committed and professional staff will provide medical care to a family as a whole, with the main aim of working towards excellence, sincerity and a quality health care services. Holistic Therapy is very effective amongst heart and vascular patients.

Chronic Lyme Disease Treatment

Chronic Lyme Disease is part of our most prized specialties. Lyme disease is a common underlying cause of chronic illness. Dr. Beals is able to test for and treat these root problems of illness using both conventional methods and complementary therapies. LabCorp On Site

With our LabCorp services, you have opportunities as our patient to participate in tests that can improve the quality of your life. You are entitled to carrying out our lab test which ranges from routine tests such as cholesterol tests and blood tests. This helps to diagnose some genetic diseases such as cancer and some other uncommon diseases.

Family Practice Medicine

Our committed and professional staff will provide medical care to a family as a whole, with the main aim of working towards excellence, sincerity and quality health care services.

Integrative Cancer Support

The goal of integrative holistic medicine is to work with the patient as the center of the medical team and combine both traditional and complementary treatments to restore the patient to a better state of health. Whereas traditional medicine will focus on only treating the tumor.

Featured Health Professionals

and

Mary B. Alexander, DDS, DMSC

Under One Roof

20680 Seneca Meadows Parkway, Suite #218

Meet Mary B. Alexander

Dr. Mary Alexander, periodontist, obtained a Bachelor of Science degree in Biology from the University of South Carolina and continued her education in dentistry at the University of Maryland School of Dental Surgery where she received her DDS degree. Prior to and during her dental studies, Dr. Alexander received funding and support from the National Institutes of Dental Research for her involvement in the periodontal research. After obtaining her DDS degree Dr. Alexander spent one year at the Veteran’s Administration Hospital, in general practice residency focusing her training in the area of anxiety patient management. She then attended Harvard University and earned her clinical specialty in periodontics and a doctorate in medical science. Her doctoral research was focused in the study of bone function and metabolic disease of the bone.

Dr. Alexander received extensive training in dental implantology, periodontal plastic surgery, bone regenerative procedures and sedation dentistry. All aspects of Dr. Alexander’s training are incorporated in her periodontal practice assuring patient’s thorough and comprehensive periodontal treatment.

People To Live Healthier

Sivakumar Sreenivasan, DMD DENTAL IMPLANT CENTER OF ROCKVILLE

Oral and Maxillofacial Surgeon

Diplomate, American Board of Oral & Maxillofacial Surgery

DMD, MDS • OMFS, MD, PA

77 South Washington Street Suite #205, Rockville, MD 301-294-8700

www.OMFSMD.com

Meet Dr. Sreenivasan:

Dr. Sreeni came to the United States as an Oral and Maxillofacial Surgeon in the year 1990 and put himself through dental school again at Boston University and Oral and Maxillofacial Surgery residency at University of Medicine and Dentistry of New Jersey.

As an Oral and Maxillofacial Surgeon, Dr. Sreeni manages a wide variety of problems relating to the Mouth, Teeth and Facial Regions. He practices a full scope of Oral and Maxillofacial Surgery with expertise ranging from Corrective Jaw Surgery to Wisdom Teeth Removal. His passion is in implant surgery and he is well known for same day placement of implants following teeth removal be it for single teeth or a complete “makeover” (Smile in a day). He can also diagnose and treat Facial Pain, Facial Injuries and TMJ disorders and perform Bone Grafting and Sinus lift procedures.

Dr. Sreeni completed a residency in Anesthesiology at Mount Sinai Hospital, New York in 1994 and has worked as an Attending providing anesthesia services for children and adults in the ambulatory out-patient center of the hospital.

Dr. Sreeni is an Advanced Cardiac Life Support instructor with the Adventist group. He is also certified in Pediatric advanced life support and is very capable of handling emergencies that could possibly arise in the office. Dr. Sreeni’s staff are trained in assisting with IV Sedation/General Anesthesia within our state of the art office setting. Patients are continuously monitored during and after surgery. The goal of our office is to provide professional service with compassion and an understanding of the patients’ perspective.

Featured Health Professionals

Namita K. Thapar-Dua (Chaudhary) Providing Mobile Dental Care

Servicing Senior Living Communities and Homebound persons in their private homes of any age. (In Maryland, Virginia and parts of D.C.)

K. Thapar-Dua, DDS 20528 Boland Farm Road, Suite #215, Germantown, MD 20876

Email: reception@srsmile.com – Website: www.SrSmile.com Fax #: 301-637-3222

Georgetown University Hospital, Pasquerilla Bldg. Lower Level 3800 Reservoir Road, NW Washington, DC

Deborah Y. Wilson-Umanzor If you have cataracts, glaucoma, or want to check the health of your eyes, Dr. Wilson-Umanzor is the Eye Specialist for you. Experience matters. Compassionate innovative care. Specialist in cataract, glaucoma, and anterior segment surgery. Accepting new patients

Fluent in Spanish – Hablamos Español

Diabetes and the Eye

More than 38 million American adults are living with diabetes or prediabetes. An additional 8 million are unaware that they have it. Diabetic eye disease includes retinopathy, a disease of the small blood vessels in the light-sensitive layer of the eye called the retina. This can cause visual loss, and the risk increases the longer the disease is present. Having diabetes makes it more likely to also develop cataracts or open-angle glaucoma. Because many people may not have any symptoms, it is important to get a comprehensive dilated eye exam every year.

Improving Access For Blacks To Hospice and Supportive Care

There is a startling statistic reported by the National Hospice and Palliative Care Organization in 2020. Of the 1.55 million Medicare beneficiaries who received hospice that year, only 8.2% of them were Black. It is one of many statistics that show a lack of health equity among the Black population in our nation.

The low numbers of Black people using hospice isn’t because they are healthier. In fact, they are more likely to have diabetes, high blood pressure and heart disease. For most, these health issues are not genetic. Many are fighting health issues because they are fighting food insecurities, poor educational opportunities, a lack of jobs, and more. Many can’t afford the medicines they need to manage their diseases or conditions. Others can’t get to the healthcare they need because it is too far from where they live.

Among hospice professionals, this is not a surprise. We know the numbers. That’s why we are doing something about it. One of the first barriers we addressed was making sure our staff reflects the communities we serve. We focus on the recruitment and retention of people who identify as Black. Hiring professionals who people of color can relate to means there is someone who might more acutely understand their fears and concerns. When a Black family meets me, a Black nurse practitioner, they see that they are represented in this organization. Trust and commonality are essential when you’re concerned about the impending loss of your loved one or advanced illness in yourself.

To build bridges in our communities, we have focused on nurturing rela-

tionships with people and organizations vital to Black families. We get boots on the ground in the community, hosting education sessions at senior centers, libraries, schools, religious centers and with lawmakers. I and many others on our team do a lot of talking at local churches and work to build relationships with their pastors and faith leaders. We recognize that in communities of color there is a strong tie to their religious leaders and this is an important part of understanding unique cultures.

Cultivating a culture of acceptance means paying attention to every detail. Ensuring your marketing material reflect the families that we serve. Striving to ensure your leadership is diverse. Always working to gain the community’s trust. Are we as diverse as we could be? Well, that’s something we’re working on. And I love that about our organization.

DReM’s Legacy Holistic Wellness Center

(located inside of Hol-Body Yoga Studio)

Family Wellness Services

• Natural and Herbal Remedy Consults

• Family Planning

• Childbirth Education

• Natural Healing Education

Women’s Health/Womb Wellness

• Birth/Postpartum Doula Services

• Fertility Support

• Womb Meditation

• Womb Massage

• Vaginal/Yoni Steams

Spiritual and Mental Wellness

• Etheric Touch Sessions

• Reiki Sessions

Coming Soon:

• House Blessings

• Divinations

• Doula Training begins January 2024 for In Person Classes

Shirleta Henson McKann 410-265-9393

319 Crain Highway, S. Glen Burnie, MD 21061

Walk-In Hours Every Tuesday 4pm-7pm

Facebook: DReM’s Legacy Holistic Wellness Center

Instagram: @drems.legacy.holistic.wellness

Back pain is the second most common reason people visit physicians in the US, with neck pain close behind. The spine and adjacent tissues are pivotal in nearly all major bodily movements.

Chiropractic services are used most often to treat neuromusculoskeletal complaints, including but no limited to back pain, neck pain, pain in the joints of the arms or legs, and headaches.

Drug and Alcohol Testing also Available.

Since opening in 2003, Winters Chiropractic & Physical Therapy has remained dedicated to providing expert chiropractic, physical therapy, and DOT/CDL services. Our doctors provide tailored treatments that ensure you make the most gains at a comfortable, steady pace. The ultimate goal of any chiropractic or physical therapy program is to restore your physical health to its previous form. With our small practice, we have the advantage of maintaining personal relationships without compromising our ability to provide advance care.

Ms. Haugaard (she, hers) has worked with the mental health community of the greater Washington area as a professional art therapist since 1990. She is a registered art therapist with the American Art Therapy Association, and is board-certified with the Art Therapy Credentials Board.

In Maryland she holds two licenses: Clinical Professional Counselor, and Clinical Professional Art Therapist. She holds supervisory status with both. She has been licensed as a Professional Counselor in the District of Columbia since 1996.

Ms. Haugaard received her Master’s degree from The George Washington University’s Art Therapy program. She holds two post-Masters certificates from Johns Hopkins University: Clinical Community Counseling, and Spiritual & Existential Therapy. A trauma-informed therapist, Ms. Haugaard uses an existential approach to address psychodynamic issues.

Ms. Haugaard is a member of the American Art Therapy Association (AATA), the Maryland Art Therapy Association (MATA), the American Counseling Association (ACA), and the Southern Maryland Psychological Association (SMPA).

Ms. Haugaard is bi-cultural, and bi-lingual (Hispanic Caribbean).

Where You Can Find Me Making A Difference: The Art Therapy Studio

P: 301-863-2888

46922 S. Shangri-La Drive, 2nd Floor, Lexington Park, MD www.ArttherapyStudio.net

Exploring Cannabis As a Natural Sleep Aid

Cannabis has gained attention as an aid to individuals with sleep-related challenges. The natural calming properties found in cannabis have been reported to induce a sense of relaxation, making it a subject of interest for those seeking improved sleep quality. A deeper and more uninterrupted sleep, appears to help those with insomnia or difficulty in maintaining consistent

sleep patterns.

Cannabis is often considered to provide a gentler, more holistic approach to addressing sleep issues. The compounds within cannabis, such as cannabinoids, are believed to interact with the endocannabinoid system in the body, influencing various physiological processes, including those related to sleep.

Different types of cannabis products offer distinct ways for individuals to incorporate cannabis into their sleep routines.

Edibles: Edibles are food products infused with cannabis extracts. These can include chocolates, gummies, or baked goods. The effects of edibles typically take longer to kick in compared to other methods, but provide a longer-lasting experience. First time users should start with small amounts, increasing slightly if needed

Please see “Sleep Aid,” page 63

OASIS WOMEN’S CENTER

ADVANCED GYN SURGICAL CARE

AT OASIS WOMEN’S CENTER, OUR MISSION IS TO IMPROVE LIVES THROUGH EDUCATION, PERSONALIZED MEDICINE AND ADVANCED SURGICAL OPTIONS

Ashley Pimperl

MSN, CRNP FNP-C

Nurse

Practitioner and GYN Specialist

Our Services Include:

• Minimally Invasive Surgery

• General GYN

• Cancer Risk Assessment

• Contraception

• Menopausal Medicine

• Adolescent Care

Offering same day or next day appointments. Request a consultation with Dr. Baxi.

Schedule an Appointment Today | 240-616-3934 | owcmd.com

7501 Greenway Center Drive, Suite #410, Greenbelt, MD 20770 15005 Shady Grove Road, Suite #220, Rockville, MD 20850

Optimum Health for Life

Your Wellness Partner For Life Columbia, MD | 301-802-7745 | Lpenkala96@gmail.com

Feel your best self within the safe space of relaxation, allowing stress to melt away! Breath in calming essential oils to reset and realign your body, mind, soul connection.

Linda Penkala, Author, LMT, Holistic Healthcare Presenter, and Wellness Catalyst shares her passion and heart for holistic lifestyle choices through:

• Presentations

• Massage Therapy

• Aromatherapy

• Wellness Articles

• Breathwork for Healing

• Her book, The Pause to Relax Ladies for Robust Heart Health

https://lifewave.com/lpenkala •

CORPORATE OR COMMUNITY

PRESENTATIONS:

• Wise Self Care for Life

• Nine Pillars to Prevent Heart Disease

• Wise Heart Health for Women

• Navigating New Waters of Wellness

• Tapping with Essential Oils for Health

LIVE ZOOM PRESENTATIONS

• Mindful Meditation Massage (at night, pre-sleep)

• Mindful Massage and Stretching (at desk)

• Aromatherapy 101

• Essential Oils and Your Pet

• Wise Self Care for Life

• Wise Heart Health for Women

Understanding Fibroids, Abnormal Bleeding, and Endometriosis Key Issues In Women’s Health

Women’s reproductive health is a complex field, with conditions like fibroids, abnormal bleeding, and endometriosis affecting many women globally. Understanding these conditions is crucial for early diagnosis, ef-

fective management, and maintaining overall well-being.

Fibroids

Fibroids, also known as uterine leiomyomas or myomas, are noncancerous growths that develop in or on the uterus. They vary in size and number, and while some women may be asymptomatic, others experience significant symptoms. Common symptoms include heavy menstrual bleeding, prolonged periods, pelvic pain, frequent urination, and complications during pregnancy.

The exact cause of fibroids is unknown, but factors such as genetics, hormones (particularly estrogen and progesterone), and lifestyle can influence their development. Treat-

Please see “Fibroids,” page 63

Holding Space For Your Heart In 2025

Mindful Moments To Magnify Health

Research abounds regarding “kicking it up a notch” for health in the New Year! Most statistics focus on the value of exercise, food choices, and weight, all key health indicators. If we put on another lens to see heart fitness differently this year, it may be wise to focus a bit on WORK INS, not only WORKOUTS! By that, I mean to highlight internal choices that are felt and impact

the vibrancy and balance of the entire heart, mind, and body for robust health. Choosing not to, may play into the fact that a woman suffers a heart attack every 100 seconds in the United States, and one in every three women said they would NOT call 911 if they were having a heart attack! There exists room for improvement! These American Heart Association statistics show the need for global awareness and education for women of all ages and ethnicities. The art of denial can result in the dart of death.

Cardiovascular disease kills one in five women, yet the reality is the total is more than all the cancers combined, according to a Sedar-Sinai article: https://www.cedars-sinai. org/newsroom/why-the-top-cause-ofdeath-for-women-has-been-ignored/ Healthy Hearts Require Hopeful Choices: Heart Connections: with Heart Math’s Quick Coherence one-minute

Please see “Heart In 2025,” page 63

Foot Health Steps For People With Diabetes

Healthy feet are essential for overall good health, no matter your age, fitness level, or physical challenges.

For people with diabetes, however, taking care of their feet is especially vital. More than 60% of all non-traumatic lower-limb amputations worldwide are related to complications from the disease.

Hispanics with diabetes are particularly in danger, because more than 90% of those with the disease or at risk for it have never seen a podiatrist as part of their health care.

Committed to Healing to Achieve Lasting Well-Being

BrittNey de Vicq, Mac, lac www.westaNNapolisacupuNcture.coM 410-375-9716

treat health coNcerNs with acupuNture

• CHRONIC FATIGUE

• DEPRESSION

• BACK PAIN

• JOINT PAIN

• ASTHMA

• STRESS

Now acceptiNg aetNa, aNd Blue cross/care First. practiciNg iN MarylaNd siNce 2004. 703 GiddinGs Avenue suite u3, AnnApolis, Md 21401

Brain training allows your brain to see what it is doing and adjust and re-balance in response. Also known as neurofeedback, it is a non-invasive way to promote wellness and continued growth. We are certified providers of NeurOptimal® brain training. With more than 20 years and millions of hours of use worldwide, NeurOptimal® is a safe, time-tested, and effective brain training system. Call or Email Us Today! Office sessions in Friendship Heights by appointment Visit www.BrainSpaNeurofeedack.com Call or Text: 202-480-0010 Email: BrainSpaMaryland@gmail.com

While ulcers (open sores on the foot) are the most common diabetesrelated foot problem, several others are also serious and prevalent, including neuropathy, skin changes, calluses, poor circulation, and infection.

The leading cause of hospitalization among people with diabetes, regardless of ethnicity, is foot ulcers and infections, but most of those problems are largely preventable. It’s important for those with the disease to “knock their socks off” and receive regular foot exams by today’s podiatrists. Please see “Foot Health,” page 63

The nerve damage that diabetes causes may mean a person with an ulcer or injury may be unaware of it until it becomes infected. Infection can lead to partial or full amputation

Acupuncture and Diabetes A Holistic Approach To Managing Blood Sugar

Acupuncture, an ancient practice rooted in Traditional Chinese Medicine (TCM), has gained attention as a complementary approach to managing diabetes. By stimulating specific points on the body with fine needles, acupuncture aims to restore balance in the body’s energy flow, or “qi,” promoting overall well-being. For individuals with diabetes, this method may offer promising benefits in managing blood sugar levels, reducing symptoms, and improving quality of life.

How Acupuncture Benefits Diabetic Patients

1. Blood Sugar Regulation: Re-

search suggests that acupuncture may help improve insulin sensitivity and regulate blood glucose levels. Certain acupuncture points are believed to stimulate the pancreas, enhancing its ability to produce insulin and aiding in more effective glucose metabolism.

2. Alleviating Neuropathy: Diabetic neuropathy, a common complication of diabetes, causes pain, tingling, or numbness in the extremities. Acupuncture has been shown to reduce these symptoms by improving nerve function and increasing blood flow to affected areas.

3. Reducing Stress and Anxiety: Stress can exacerbate diabetes by raising cortisol levels, which can increase blood sugar. Acupuncture promotes relaxation and reduces stress hormones, helping to maintain more stable glucose levels. Supporting Weight Management Weight management plays a crucial role in diabetes care. Acupuncture can help regulate appetite and improve digestion, making it easier for patients to maintain a healthy weight.

By Brittney de Vicq, MAc, LAc West Annapolis Acupuncture
Ademuyiwa Adetunji, DPM

Manic Depression

About one in seven adults are diagnosed with bipolar illness. In the U.S. that is over 17 million adults. The illness occurs equally among men and women.

Given proper treatment, at least 80% of people with bipolar disorder can recover.

People with bipolar illness are often very intelligent and creative, but without treatment become hampered by emotional instability. Throughout history, records show many great innovators and artists have suffered from severe mood swings. Issac Newton, Ernest Hemingway and Winston Churchill experienced

such fluctuations.

Bipolar disease received its name from the symptoms displayed by those diagnosed with the illness. Symptoms often range from one extreme to another: different as night and day or north and south.

A person with bipolar illness tends to have moods that are up and down. They may range from extreme withdrawal or inability to move (depressed) to agitation or euphoria (manic). Often symptoms fall within a moderate continuum. A person may display frequent symptoms of depression with occasional symptoms that may indicate a manic episode, or the reverse may be true.

In a manic phase, a person may feel excited, have an increase in physical activity, not sleep for days, or speak rapidly. A feeling of being all-powerful and attempting to perform tasks that are impossible or dangerous sometimes occur.

Thinking patterns can be affected and the individual may show signs of paranoia or have hallucinations (see or hear things which are not really there).

When the person is experiencing the depression phase of the illness, sad-

Please see “Manic Depression,” page 65

400 Potomac Street

A psychiatric rehabilitation program offering a day component, residential, vocational and in-home support services. Let us show you how to move from the solitude of symptoms to the freedom of achievement.

OFFERING: Wellness and Recovery Community Center - This is a program that provides support from peers for both mental health and substance use disorders for people actively working on their recovery.

Diabetes and Yoga

Diabetes may occur when the body is stressed, or there is a lack of exercise and wrong diet. Diabetes can be controlled.

Stress is caused when the mind is over worked with worry and anxiety. We create stress when we think that we have to control everything and everybody. Stress comes about when we do not take the time to assess the situation. If we were to dissect the situation we are stressing about we will see that we are adding more to the problem than necessary. Our mind likes to create, and our mind likes to keep moving and jumping all over the place. If and when we take the time to

really look at the situation you will see it really wasn’t as bad as we imagined. Diabetes can often times be controlled through diet. We often enjoy eating foods that are good to taste but very bad for the body.

When we begin to control our thought process we can begin to heal our bodies. Controlling the thought process is harder than giving up alcohol, drugs, cigarettes, sex, shopping, etc. Control your thoughts with the help of meditation, prayer and readiness and willingness. Wanting to change is the first step. Saying no to your cravings is the second step. You will find when you eat a proper diet, and eat at a regular time every day and when you eat a balanced meal it will cut out the junk food cravings and eliminate the snacking in between meals. You will begin to control your mind and you will have the final say in healing your body.

In yoga, we have various twists and turns that will activate and stimulate the lower and upper vertebras of the spine that will in turn regulate the uric acid that forms in the body due to excess worry and wrong diet. Relaxation will eliminate the over active mind. Namaste/Sat Nam.

What If We Treated Depression Like Cancer?

Understanding the Stages Of Depression and Emerging Treatments

During my residency, a Senior Consultant remarked that clinical depression is “like cancer of the soul.” This analogy has gained traction among providers, prompting a reevaluation of how we approach depression. Michael Otto’s 2022 article,

“Stage Models for Major Depression,” outlines the progression of depression across distinct stages, enabling clinicians to tailor interventions to individual needs(1)

Stages Of Depression

Stage 0: Presymptomatic Risk Phase – This initial stage involves risk factors that predispose individuals to mood disorders, typically without any symptoms.

Stage 1a: Onset of Prodromal Phase – Individuals may notice subtle changes, such as irritability, sadness, fatigue, and sleep disturbances, which can be overlooked as stress-related.

Stage 1b: Progression of Prodromal Phase – Symptoms intensify, leading to a more pronounced depressive

Please see “Depression,” page 66

Toni Greene, Owner Happy Hour Yoga on Zoom!

Enhanced Underinsured Coverage

You’ve just been in a serious motor vehicle crash. Though it is no fault of your own, your car is a total loss and you’ve been seriously injured. Your future is filled with extensive medical treatment and your doctor has taken you out of work. To top it off you’ve just discovered the other driver has “cut rate” insurance. What do you do?

“Underinsured” motorist coverage is a claim under your own automobile

insurance policy for benefits over and above the limits of the other driver’s coverage. There’s one catch: it’s only available if your policy limits exceed the liability limits of the at fault driver. Otherwise, stated, your insurance company gets a credit for the amount of coverage on the other driver’s insurance policy. For years, Maryland prohibited “stacking”, adding the limits of your underinsured coverage to the other driver’s liability coverage.

Effective July 1, 2018, you can purchase what is called “enhanced underinsured motorist coverage”. The effect is to raise your underinsured benefits up to the amount of your liability policy. Otherwise stated, your insurance cannot subtract the amount of the other driver’s liability limits from your underinsured coverage.

Why is this important? In my view, because of the internet, more and more consumers are going to the

Please see “Underinsured,” page 65

Common Causes For Low Sperm Counts

Smoking

Studies have shown that smoking can lead to DNA damage in sperm. Such damage can reduce fertility and result in higher miscarriage rates. Smoking can also lead to erectile dysfunction.

Men who smoked more than 20

cigarettes per day can expect a 19% reduction in sperm concentration. Smoking is also associated with lower sperm volume and an increase in the number of morphological defects of the sperm cells.

Excessive Alcohol

Heavy drinking lowers testosterone levels and increases estrogen levels. This results in reduced sperm production.

Studies have shown that heavy alcohol use over a long-time can be associated with testicular atrophy. Alcoholism is also associated with liver dysfunction it can decrease the ability to metabolize estrogens. Heavy alcohol use also shows significant disturbances and sperm parameters with even occasional azoospermia [absence of sperm].

Alcohol abuse and acute intoxica-

Please see “Sperm Count,” page 65

Yemi Adesanya-Famuyiwa, MD Montgomery Fertility Center

The Ultimate Healing Restoring Body, Mind & Spirit

Energy quantum healing operates on the principle that the body’s innate energy field extends beyond its physical boundaries, connecting with the Earth’s magnetic field and traversing various dimensions within the spiritual realm.

This method focuses on identifying and rectifying congested negative energy, facilitating the restoration of a harmonious flow of positive energy throughout the entire human energy system. By addressing imbalances and disturbances within this system, energy quantum healing aims to integrate the body, mind, and soul in order to foster holistic health and facilitating the healing process. Practitioners believe that resolving energy field disturbances can prevent potential physical manifestations of illness in the future.

Holistic Therapies

Meditation, sound immersion,

aura, chakra balancing and healing exert a tangible impact on the body, constituting a form of vibrational medicine that may influence heart rate, blood pressure, and brain wave patterns. Sound waves, in particular, emit vibrations that are thought to penetrate and interact with the physical body and its major systems, accessing the aura and chakra systems to alleviate spiritual blockages and alleviate tension and stress. Sessions incorporating meditation, sound immersion, and healing techniques have been shown to alleviate physical discomfort in certain individuals, as well as mitigate anxiety and depression, and address emotional imbalances and past traumas.

Keep in mind that these therapies are complementary and should be used in conjunction with conventional medical care.

Intuitive Guidance

Intuitive readings can offer an understanding of various life situ-

Please see “Ultimate Healing,” page 62

Hope to educate & inspire. Empowering a community to come together and build a more conscious world.

Tarot & Intuitive

Readings

Soulmate Specialist

Restoring Love & Creating Pathways To Your Soulmate

Chakra & Aura Balancing / Cleansing Life Path Manifesting Crystal & Sound Healing

Where Science Meets Compassion

Our mission is to assist our patients in creating the families of their dreams, whether it be at the present or to maintain the possibility in the future.

Medical Director Dr. Famuyiwa, a double board certified fertility specialist and an advocate for personalized holistic fertility care, is at the forefront of providing state-of-the-art care based on emerging and advanced new technologies in the most compassionate of manners.

The Silent Dental Disease

Bacteria from dental plaque not only attacks the soft tissue, but will eventually attack the bone causing teeth to fall out. The most common strain of bacteria in dental plaque can cause blood clots that induce heart attacks when they enter into the blood stream. Additional studies presented that dental plaque is linked to:

• A potentially fatal disease called infective endocarditis in which the sac around the heart becomes infected with bacteria

• Lung infections in people with chronic lung diseases such as chron-

ic obstructive pulmonary disease.

• Weakened immune systems that can slow wound healing and diminish a person’s response to vaccines against hepatitis B and influenza.

• A higher risk of giving birth to premature, low birth weight infants.

Treating gum disease has become more important than ever due to these findings. Soft tissue management is a non-surgical approach to control the infection of the gums and root surfaces. There is no cure for gum disease; it can only be managed or controlled.

Your hygienist will perform the treatment, also known as scaling and root planing, to treat the infection, make recommendations to help you effectively clean your teeth daily, and guide you through the efforts to achieve and maintain optimum oral heath.

Scaling and root planing is the treatment of the diseased root surfaces below the gum line. This differs from a routine prophylaxis (cleaning) because it emphasizes cleaning below the gum line

Please see “Dental Disease,” page 65

Self-Care Guide

For People With Diabetes

Submitted by Kensington Pharmacy

You want to learn how to live well with diabetes. Here is an easy guide to help you understand and address the factors that impact your success.

Healthy Eating Tips

Understand how the foods and fluids you eat and drink affect your diabetes control.

• Focus on the right foods in the right amounts.

• Aim for variety and balance.

• Make healthy choices when shopping and eating away from home.

• Treat low blood sugar.

• Be consistent with meals and snacks.

Being Active

Whether you take daily walks, work in the garden or start a fitness program, being active regularly can help you control diabetes and decrease risks for complications.

Monitoring

Monitoring your blood sugar can help you manage your diabetes. Knowing your numbers, you’ll have helpful information to support the de-

cisions you make regarding food and activity. It’s important to monitor other aspects of your health to help reduce the risk of diabetes complications. Make the most of monitoring by using these tips:

• Use the results of self-monitoring blood sugar to achieve blood sugar control.

• Monitor your weight and blood pressure.

• Inspect your feet regularly.

• Be sure your doctor schedules tests for lipids, kidney function and more.

Taking Medications

When medications are taken correctly, they can help you stay your healthiest.

Problem Solving

Learning to solve problems is important in taking charge of your life. This is especially true when you manage diabetes.

Try These Tips:

• Approach one problem at a time.

• Explore what might be causing the problem.

Please see “Self-Care Guide,” page 65

Orthodontics and Mouth Protection

For orthodontic patients, facial, jaw or mouth protection is crucial. Mouth guards are one of the most important aspects of team/personal sport gear; happen to be the least expensive aspects of protective gear and one of the best long-term investments in having a healthy smile. Athletic programs require such gear to help minimize tooth trauma and jaw injuries. This includes cheerleading, gymnastics, soccer, karate, boxing, football, basketball, and anytime

there can be physical contact.

The American Association of Orthodontists recommends mouth guards be worn any time the teeth could come into contact with a ball, a hard object, another player or the pavement. This applies to organized sports as well as leisure activities such as bicycling, skating and running. A survey by the AAO found, only 33% of parents said they have their child wear a mouth guard. You can pick up mouth guards over the counter or have them custom fit, which offers the most protection. Mouth guards prevent more than 200,000 oral injuries each year. If a mouth guard is not worn, the more common injuries are, cuts to the lips, cheeks and jaws, broken teeth, loosened teeth or the most serious, teeth that have been knocked out. Jaws pushed out of alignment can also occur. A tooth that has been loosened has been pushed into the socket (intruded), knocked part way out of the

Please see “Mouth Protection,” page 65

Understanding Low Back Pain

Why Consult an Interventional Pain Physician

Low back pain is a prevalent ailment that affects millions of individuals worldwide, often causing discomfort, limitation in activities, and decreased quality of life. While occasional episodes of back pain are common and typically resolve with rest and conservative measures, persistent or severe low back pain may indicate underlying issues that require specialized assessment and treatment.

Common Causes of Low Back Pain

Muscle Strain and Sprain: Overexertion, improper lifting techniques, or sudden movements can strain the muscles and ligaments in the lower back, leading to acute or chronic pain.

Degenerative Disc Disease: With age, the intervertebral discs in the lumbar spine can degenerate, resulting in decreased disc height, instability, and potential nerve compression, leading to pain and discomfort.

Herniated Disc: When the inner gel-like material of a disc bulges or ruptures through its outer layer, it can irritate or compress nearby spinal nerves, causing sharp, shooting pain, numbness, and weakness in the lower back and legs.

Spinal Stenosis: This condition involves the narrowing of the spinal canal, often due to age-related changes or structural abnormalities, leading to pressure on the spinal cord or nerves, resulting in pain, tingling, and weakness, particularly with activity.

Please see “Low Back Pain,” page 66

• Spinal Cord Stimulation (SCS)

• Epidural Steroid Injections

• Facet Joint Injections

• Radiofrequency Ablation

• Medial Branch Blocks

• Sacroiliac Joint Injections

• Kyphoplasty

• Selective Nerve Root Blocks

• Sympathetic blocks

Therapies

• Celiac Plexus Blocks

• Joint Injections

• Peripheral Nerve Stimulation

• Minimally Invasive Lumbar Decompression (MILD)

Studio 5 Hair Gallery Specializing in Restoring & Enhancing

Your Hair’s Natural Beauty

Located in scenic Southern Maryland, Studio 5 Hair Gallery is well known in the medical community for customized solutions for hair loss. We provide the finest synthetic and human hair wigs, hair extensions, and top-of-the-head hairpieces. For over 12 years, Studio 5 Hair Gallery has served its clients with compassion and excellence. call 301.884.3553 for your appointment today! Please mention this Flier when setting up your appointment. Whether your hair loss is temporary, due to

Custom Cranial Prosthesis • Lace Front Units Men’s & Women’s Hair Systems • Extensions

Studio 5 Hair Gallery hair replacement specialists are empathetic to your needs at this difficult time and will do everything possible to make you feel comfortable.

GWEN BEVERLY Owner, Medical Hair Loss Specialist

aging i n P lace

friends and consider services like meal delivery and transportation assistance.

Research local resources: Community centers often offer social activities and support groups. Senior ride-sharing services or discounted transit options may also be available.

5. Preparing For the Unexpected

Despite the best plans, circum-

stances can change. Having a contingency plan is crucial. Research local home care agencies and rehabilitation centers in case you need temporary care after a hospital visit.

If aging in place becomes unfeasible, familiarize yourself with local assisted living options. Stay informed about real estate and care services in your area to avoid surprises.

r esolve Diabetes

formulations, and newer non-insulin injectable drugs. These treatments are life-long in an effort to maintain normal blood glucose levels.

Role Of Bariatric Surgery For Treatment Of Diabetes

For morbidly obese individuals, weight loss has been shown to improve blood glucose control significantly. Weight loss helps to improve glucose metabolism and decrease resistance to the body’s natural insulin. Studies have shown that both medical and surgical weight loss have produced significant results in the improvement and elimination of diabetes.

Surgical weight loss procedures

From Page 24

such as gastric bypass and sleeve gastrectomy have been shown to produce effective and sustainable weight loss which results in resolution of diabetes for many patients undergoing bariatric surgery (weight loss surgery). Many patients have their glucose control improve immediately after surgery with medication requirement eliminated or significantly reduced. Long-term studies are showing this effect with HBA1c getting back within normal ranges for many affected patients. The effects of bariatric surgery are most pronounced when associated with lifestyle changes including healthy diets, regular exercise and behavioral changes that continue to promote weight loss.

selF- con F i Dence

people can change the smile they were born with into a smile they love.

What Dental Procedures Could Help My Smile?

Dentists are able to perform a variety of cosmetic procedures to improve patients’ smiles. These procedures range from subtle changes to major repairs, fixing flaws such as discolored, chipped, misshapen or missing teeth.

Cosmetic procedures include bleaching, bonding, veneers, reshaping and contouring. Bleaching is a common

From Page 24

and popular procedure that is used to whiten teeth and can be performed by a dentist in the office or under supervision at home. Dentists can also use a variety of methods to correct misshapen or crooked teeth. Veneers are thin shells of porcelain or plastic that are cemented over the front of teeth, and bonding is the use of toothcolored material to fill in gaps or change the color of teeth. Tooth reshaping or contouring are used to alter the length, shape or position of teeth and are ideal for patients with normally healthy teeth seeking subtle changes in their smile.

sex Hormones

• Reduces coronary hyperactivity

Testosterone:

• Increases blood flow

• Positively impacts cholesterol

• Decreases inflammation

From Page 25

• Affects muscle mass

Take care of your heart. Talk to a hormone specialist to learn more about how you can improve your quality of life with bioidentical hormone therapy.

utimate H ealing

ations, shedding light on your life path, and providing guidance on aligning your goals with your destiny. Anticipate receiving insights aimed at addressing challenges and

P revent Diabetes

of developing type 2 diabetes by 30%. Similar diabetes-prevention benefits have been reported for brisk walking of more than five hours per week.

Television-watching is a detrimental form of inactivity: For every two hours spent watching TV instead of pursuing something more active increases the chances of developing diabetes by 20%; it also increases the risk of heart disease (15%) and early death (13%).

Four dietary changes can have a big impact on the risk of type 2 diabetes.

• Choose whole grains and whole grain products over highly processed carbohydrates.

• Skip the sugary drinks, and choose water instead.

• Choose good fats instead of bad fats.

• Limit red meat and avoid processed meat; choose nuts, whole grains, poultry, or fish instead.

Smoking Cessation

Since we know, smokers are roughly 50% more likely to develop diabetes than nonsmokers, and heavy smokers have an even higher risk. Quitting would be beneficial and decrease the risk of type two diabetes.

The bottom line to preventing type 2 diabetes is to stay lean and stay active.

r eDuce Your r isk

A typical American diet rich in saturated fats and high sugar foods, as well as tobacco use, obesity, and insulin resistance, can cause the CRP to be elevated.

Chronic hidden infections in the body can also raise the CRP level. Infections which have been linked to cardiovascular disease include periodontal gum disease, respiratory infections, stomach infections (H Pylori) and even urinary tract infections.

Important lab tests can help assess cardiovascular risk. These include insulin levels, both fasting and in response to glucose challenge, expanded lipid panels beyond the standard ones typically used which look more closely at the various types of proteins that carry cholesterol (HDL, LDL) as well as a lesser known but more important protein called Apolipoprotein B.

I very often offer a test called a coronary artery calcium score as well as carotid artery ultrasonography which help us know if there is any damage and plaque on these important arteries.

Once a person’s current state of vascular/cardiac health and their risk of developing it in the future is calculated,

a treatment plan can be formulated.

For many people, lifestyle and nutritional interventions can substantially reduce cardiovascular risk even without the use of more aggressive pharmacological treatments. Though cholesterol lowering drugs can be life saving there are other safe and effective ways to reduce the risk of heart disease for people who either cannot tolerate statins or would prefer other modalities.

Recent evidence suggests using hormone replacement around onset of menopause may reduce development of coronary artery disease in women. This is important given that heart attack risk for women begins to rise after menopause to meet that of men. Testosterone replacement in men may help reduce cardiovascular risk.

There are many tools we have to assess a person’s risk of heart disease, and an integrative physician has many options available to treat each person appropriately and safely. But the first step is to realized that heart disease is very common, and to have a clear eyed view of the current state of affairs and future risk, and then embark on a treatment plan that works.

Diabetic Woun D

tation, improve function and quality of life, and reduce health care costs.

From Page 57

identifying opportunities. Gain clarity on personal growth and navigating life’s complexities, empowering you to make informed decisions and pursue positive changes.

The primary goal in the treatment of foot ulcers is to obtain healing as soon as possible. The faster the healing, the less chance for an infection.

There are several key factors in the appropriate treatment of a diabetic foot ulcer:

• Prevention of infection.

• Taking the pressure off the area, called “off-loading.”

• Removing dead skin and tissue, called “debridement.”

• Applying medication or dressings to the ulcer

• Managing blood glucose and other health problems.

Not all ulcers are infected; however if your physician diagnoses an infection, a treatment program of antibiotics, wound care, and possibly hospitalization will be necessary.

technique for balance and clarity, Box Breathing anywhere to regulate breathing and find calm, or EFT tapping on specific acupuncture points to make a profound shift.

Stillness For Heart Peace: When your brain slows down for prayer and meditation, many bodily processes are enhanced to lessen stress. They both help release feel-good chemicals (oxytocin) in the brain to lower reactivity from negative events and trauma.

https://www.nbcnews.com/better/ health/your-brain-prayer-meditationncna812376

Feel the Flow Of Each Season: Five-Element Acupuncture offers harmony and balance as each element (water, metal, wood, fire, earth) corresponds to each season. In winter, the water element reminds us to stay hydrated, rest more, and take hot Epsom salt baths to relax.

Volunteer With Other Hearts: Joining a meaningful cause helps build stronger social networks and

lowers the risk of dying compared to non-volunteers, according to the AmeriCorps and U.S. Census Bureau (60.7 million people who volunteered from 9/2020 to 12/21).

Be Present With Relaxation and Letting Go: The power of touch for maintaining health is ancient medicine. A regular caring massage with music enhances the ability to be still and present. Acupuncture and yoga allow a feeling of deep relaxation and peace.

Embracing these WORK IN moments every month to feel your heart in a gentle space of love offers a mini vacation to look forward to all year! Happy Heart New Year!

https://www.heartmath.org/resources/heartmath-tools/quick-coherence-technique-for-adults/

https://health.clevelandclinic. org/box-breathing-benefits

https://experiencelife.lifetime. life/article/five-elements-for-fiveseasons/

H ealtHY smile

needs of each patient. Whether you’re undergoing a complex procedure or a routine dental treatment, your peace of mind is our priority.

Patient-Centric Approach:

At Total Dental Care, we prioritize your comfort with a patient-focused approach, offering amenities such as heated chairs with massage features, ensuring a relaxed experience. Our team is dedicated to fostering a positive dental experience, emphasizing

From Page 12

communication and education to empower patients in making informed decisions about their oral health.

Total Dental Care stands as a beacon of excellence in dental health, providing total solutions for patients seeking comprehensive, detail-oriented care. Experience the difference with our wide range of services and patient-focused approach, ensuring your journey to a healthy smile is seamless and satisfying.

Foot H ealtH

of the foot or lower leg.

The good news is regular care from a podiatrist can help reduce amputation rates between 45-85%.

People with diabetes need to inspect their feet daily and be vigilant for warning signs of ulcers, including irritation, redness, cracked or dry skin (especially around the heels), or drainage on their socks.

Although ulcers can occur anywhere on the foot or ankle, they are typically found on pressure points on the foot, like the ball of the foot or bottom of the big toe. If you discover an ulcer or have any symptoms, see a podiatrist immediately. In many cases, the foot can be saved with early treatment.

In addition to examining your feet every day, and keeping your blood glucose in your target range, make sure to

F ibroi Ds

ment options range from watchful waiting for smaller, asymptomatic fibroids to medications that regulate hormones and reduce symptoms. In severe cases, surgical interventions like myomectomy or hysterectomy may be necessary.

Abnormal Bleeding

Abnormal uterine bleeding (AUB) refers to any deviation from normal menstrual patterns, including heavy menstrual bleeding (menorrhagia), bleeding between periods, or prolonged menstruation. AUB can be caused by various factors, including hormonal imbalances, fibroids, polyps, and underlying medical conditions like thyroid disorders or clotting issues.

Diagnosing AUB often involves a comprehensive evaluation, including medical history, physical examination, blood tests, and imaging studies like ultrasound. Treatment depends on the underlying cause and may include hormonal therapies, nonsteroidal anti-inflammatory drugs (NSAIDs), or surgical procedures such as dilation and curettage (D&C) or endometrial ablation.

Endometriosis

Endometriosis is a chronic condition where tissue similar to the lining inside the uterus (endometrium) grows outside the uterus, commonly on the ovaries, fallopian tubes, and pelvic lining. This misplaced tissue responds to menstrual cycle hormones, causing inflammation, pain, and the formation of scar tissue (adhesions).

Symptoms of endometriosis include severe menstrual cramps, chronic pelvic pain, pain during intercourse, and infertility. The exact cause of endometriosis is unclear, but factors like retrograde menstruation, genetics, and immune system issues are believed to contribute.

Diagnosis is often challenging and may require laparoscopy, a minimally invasive surgical procedure. Treatment options include pain management with NSAIDs, hormonal therapies to reduce or eliminate menstruation, and surgical removal of endometrial tissue. In severe cases, a hysterectomy may be considered.

a ll- on-Four

oral health. But perhaps the biggest surprise about the all-on-four is how quickly it can transform your life.

What’s The All-On-Four Dental Implant Procedure Like?

First, either local or general anesthesia will be administered.

From Page 52

follow these foot health tips:

• Discuss your diabetes and the risks with your family. Diabetes can be hereditary, so talk to your family members about monitoring blood sugar and foot health.

• Never go barefoot. Always protect your feet with the proper footwear and make sure socks and shoes are comfortable and fit well.

• Trim toenails straight across, and never cut the cuticles. Seek immediate treatment for ingrown toenails, as they can lead to serious infection.

• Keep your feet elevated while sitting.

• Wiggle toes and move your feet and ankles up and down for five-minute sessions throughout the day.

Successfully managing diabetes is a team effort, and today’s podiatrist is an integral player on that team.

Second, the dentist or surgeon will prepare your mouth for the implants, which involves removing your remaining teeth that are failing. They will then remove any diseased or infected tissue from your jaw and gums.

Next, they will insert the titanium screws into your jawbone. Most likely,

sleeP a i D

until they find the right level for their particular needs.

Flower (Smokable cannabis) , still one of the most traditional methods of consumption it remains one of the most popular. The rapid onset of effects can be beneficial for those looking for quick relief. Different strains of cannabis have varying effects, and some indica-dominant strains are commonly associated with relaxation and sedation, potentially aiding in sleep.

Vaporizers: Vaporizing, or “vaping,” involves heating the cannabis at a lower temperature than combustion, producing a vapor that is inhaled.

From Page 16

they will place two implants toward the front of your mouth and two towards the back of your mouth so the “anchors” can evenly bare the force of the denture.

After the implants have been placed, they will thoroughly clean the surgical sites and suturing all the incisions. Then you’ll be taken to a recovery room where you can relax and take time to wake up from the anesthesia. Schedule a consultation with an All-On-Four provider. It’s the best way to find out how dental implants can change your life.

Vaporizers are known for providing a more immediate onset of effects compared to edibles, making them a quicker option for those seeking prompt relief. Additionally, vaporizing eliminates the potential health risks associated with smoking.

When considering the use of cannabis for sleep, it’s important to be mindful of their personal preferences and tolerances. Factors such as strain selection, dosage, and individual responses should be taken into account for an optimal and personalized experience. Highly trained and expert dispensary staff can help you select the best cannabis for your particular needs.

HEALTH DIRECTORY

ACUPUNCTURE

Eastern Medical Holistic Healing Center – Angel Wood – 240-7555925 – www.Acupuncture4Wellness. Webs.com.

West Annapolis Acupuncture –Brittney de Vicq, LAc, MAc – 410375-9716 – BrittneyAcupuncture. com – Annapolis, MD.

CHINESE MEDICINE & ACUPUNCTURE

Quansheng Lu, CMD, PhD, LAc – www.WholelifeHerb.com – 301340-1066.

CHIROPRACTIC

Kovach Chiropractic & Wellness Center – Alicia Kovach, DC – 410697-3566.

Effective Integrative Healthcare –Crofton 410-774-0644 – Millersville 410729-2200 – Lanham 301-577-6556.

DENTISTRY

Cosmetic Dental FX – Judy Yu, DMD, MBA – 410-360-0440 – www. DentalFXMD.com – Pasadena, MD.

Lighthouse Family Dentistry –E. Taylor Meiser, DDS – 410-224 4411 – Annapolis, MD.

Karl A. Smith, DDS – Waldorf, MD –301-638 -4867.

DERMATOLOGY

Hema A. Sundaram, MD – Dermatology, Cosmetic & Laser Surgery – 11119 Rockville Pike, Suite #205, Rockville – 301-984-3376 – Also in Fairfax, VA.

EYE CARE

McNelly Optical, Inc. – 410-263-2692 – www.McNellyOptical.com – Annapolis, MD.

FERTILITY

Montgomery Women’s Fertility Center – 301-946-6962 – MontgomeryFertilityCenter.com – Rockville, MD.

HEALTH AND WELLNESS

Taylored 4 Life Wellness, Inc. – Gregory Taylor, MS – 301-979-9010 – Taylored4LifeWellness.com – Largo, MD.

HOME CARE

At Home Care, Inc. – 301-421-0200 – AtHomeCareInc.com – Since 1977.

HORMONES

New Day Vitality Hormone Center – 410-793-5212 – Arnold, MD and Easton, MD – NewDayVitality.com.

HYPNOSIS

Toni’s Happy Hour Yoga and Holistic Wellness Center – 301-449-8664.

INTEGRATIVE MEDICINE

Alan Weiss, MD, Annapolis Integrative Medicine – 410-266-3613 – 1616 Forest Drive, Suite #3, Annapolis, MD 21403.

Taylor Integrative Health – Janay Taylor – 410-292-0483.

MEDICAL SPACE

Charles L. Feitel Company – 301-571-9333 – www.MedicalandDentalSpace.com.

MENTAL HEALTH SERVICES

Charles Co. Freedom Landing, Inc. –301-932-2737 or 301-870-3969.

House Calls, LLC – 301-346-6732 –CallingOnBeth@gmail.com – www. CallingOnBeth.net.

Luminox Healthcare Services – 240553-7970 – LuminoxHealth.com.

MRI

Washington Open MRI, Inc. – 6 Locations: 15005 Shady Grove Road, Suite #110, Rockville, MD 20850; 7399 Hanover Parkway, Greenbelt, MD 20770; 6196 Oxon Hill Road, Suite #110, Oxon Hill, MD 20745; 5530 Wisconsin Avenue, Suite #529, Chevy Chase, MD 20815; 9135 Piscataway Road, Suite #106, Clinton, MD 20735; 25 Crossroads Drive, Suite #180, Owings Mills, MD 21117 – www.WashingtonOpenMRI.com – 301-908-8279.

NEUROLOGY

Charles C. Reel, MD – Maryland Gait and Balance Disorder Center –Charlotte Hall, MD – 301-290-0395.

NUTRITION

Nutritional Healing Center – Thomas K. Lo, DC, MA – 240-651-1650 – 7310 Grove Road, Suite #107, Frederick, MD 21704 – DoctorLo.com

ORTHODONTICS

Jacqueline Brown Bryant DDS, MS, PC – Damon, Clear Braces & Invisalign for Adults And Children – Silver Spring, MD 20910 – www.SmileConstructors.com – 301-587-8750

PAIN MANAGEMENT

Georgetown Pain Management – Netsere Tesfayohannes, MD, ABA, ABAP – 301-718-1082 – 8120 Woodmont Ave., Ste 560, Bethesda, MD – 7300 Hanover Dr., Ste 204, Greenbelt, MD. Newbridge Spine and Pain Center – 301-638-4400 – www.NewbridgeSpine.com.

PAIN MANAGEMENT

Metropolitan Pain & Spine – Dr. Levi Pearson, III, MD, MBA – 9501 Old Annapolis Road, Suite #305, Ellicott City, MD 21042 – www.MetropolitanSpine.com – 410-772-6312.

Pain & Rehab Center, LLC – Dr. Gelareh Naenifard, DC – 5855 Allentown Road, Suite #19, Suitland, MD 20746 – www.PainRehabCenterMD. com – 301-925-2013.

PODIATRY

Bowie Foot Care – Howard Horowitz, DPM – 301-464-5900.

Largo Foot and Ankle Health Center – Ade Adetunji, DPM – 301 386 5453. PRIMARY CARE

Loving Care – Janet Johnson, MD – Hyattsville, MD – 301-403-8808.

PROSTHETICS

Metro Prosthetics – 301-459-0999 –www.MetroProsthetics.com

SENIOR CARE

Chevy Chase Home Care. Help at a time you need it most. Any Ages. Any situations. Any shifts. MD, DC, VA – www. CHCHHomeCare.com – 202-374-1240.

St. Mary’s Nursing & Rehabilitation Center – 301-475-8000 – Leonardtown, MD – www.StMarysNursingCenter.com.

SPA (MEDICAL)

Luminox Healthcare Services – 240-5537970 – LuminoxHealth.com.

Millennium MediSpa – 301-652-9005 – www.AnythingCosmetic.com.

VETERANS

Charlotte Hall Veterans Home – 301884-8171 – Waldorf, MD. WEIGHT LOSS

The Bariatric and Hernia Institute –Dr. Etwar McBean – 240-206-8506 – www.TBHInstitute.com.

YOGA

Toni’s Happy Hour Yoga and Holistic Wellness Center – Toni Greene, Owner – 301-449-8664.

301-805-6805

blooD sugar

Integrating Acupuncture With Conventional Diabetes Treatment

While acupuncture offers various potential benefits, it should not replace conventional diabetes treatments. Instead, it works best as part of a comprehensive management plan that includes medication, a balanced diet, regular exercise, and routine monitoring of blood sugar levels.

Safety and Considerations

Acupuncture is generally safe when performed by a licensed practitioner using sterile needles. However, diabetic patients should take extra precautions to prevent infections,

From Page 52

especially if they have slow-healing wounds or compromised immunity. Always inform your healthcare provider before starting acupuncture to ensure it aligns with your overall treatment plan.

For those seeking a holistic way to manage diabetes, acupuncture may serve as a valuable complementary therapy. By addressing not just physical symptoms but also mental and emotional health, acupuncture can help individuals take a more balanced and proactive approach to living with diabetes. As with any treatment, consult with healthcare professionals to determine if acupuncture is right for you.

un DerinsureD

internet to shop for insurance. They often buy the cheapest coverage. They do not sit down with an experienced lawyer or insurance agent and take time to ask, “what happens if I cannot work, or my health insurance pays only a portion of the medical bills”. This can and often does result in a serious loss of benefits to innocent

From Page 56

drivers or passengers seriously injured in motor vehicle accidents.

Your lawyer can advise you on all the new Maryland laws that have just become effective. Call your lawyer for an appointment to bring in your auto liability insurance policy and get some up to the minute advice.

moutH P rotection

socket (extruded) or pushed sideways but still in the socket (luxated).

Most adults and parents do not realize that not only do mouth guards save teeth and protect jaws from breaks, mouth guards may also pro-

From Page 58

tect against injuries to the neck and central nervous system by decreasing force transmitted through the jaw to the base of the skull – a particularly sensitive area for children, teens and adults.

selF- care gui De

• Ask your diabetes care team to help you develop your own “what to do if” plan, such as if you have low blood sugar, if you want to eat extra food or if you are too sick to eat.

• Keep track of how well you solve problems and ask for help if you are having trouble.

To be sure you gain the benefits from your prescribed medications, use these tips:

• Take medications in the right amount, at the right time and in the right way.

• If you are new to taking medications on a regular basis, keep a medication record to help you develop good medication-taking habits.

• Understand how to take your medications by asking questions and getting answers that you understand.

Healthy Coping:

Coping with diabetes is an ongo-

m anic DePression

ness, hopelessness and low self-esteem may be evident. There may be changes in appetite and sleeping habits.

The presence of bipolar disease indicates an imbalance in brain chemicals called neurotransmitters. These are chemical messengers to the brain. Certain ones regulate mood and affect thought patterns. Effective treatment tries to restore that balance.

Like many long-term illnesses, it may mean life-long maintenance treatment. Certain medications have had a

positive effect on correcting the chemical imbalance experienced. Mood stabilizers can improve symptoms of both mania and depression. Additional medication may be needed in conjunction with mood stabilizers during acute episodes. Support and understanding by family, friends, and co-workers enhance the recovery process. Learn the facts about the illness. This helps eliminate myths and misperceptions. Encourage the person to seek and maintain treatment. Support the fact that the illness is treatable and recovery can be obtained.

loW sPerm count

tion are also associated with sexual dysfunction, which is also associated with difficulties conceiving.

Unhealthy Lifestyle

Having an unhealthy diet and a high BMI has been associated with reduced sperm quality. Use of illicit drugs as well as psychological stress further compound the abnormal parameters noted in some patients. The negative impact can be overcome by behavior modification.

Systemic Illness

Influenza may affect sperm quality and integrity of sperm DNA. Febrile episodes from a systemic illness may also reduce sperm concentration,

morphology, and motility. Patients who have systemic lupus can have abnormal sperm development mainly due to the presence of anti-sperm antibodies.

Genetic Disorders

Genetic causes of abnormal sperm count include Klinefelter’s syndrome. The presence of the cystic fibrosis gene mutation is also associated with abnormal semen parameters. Y chromosome microdilution can result in azoospermia or lack of sperm. Other causes include Noonan syndrome. Noonan syndrome presents with congenital problems and or kidney problems. Common findings include undescended testes.

Dental Disease

From Page 58

ing process. Work with your healthcare team to learn what works for you.

• Learn how to manage living with diabetes.

• Identify things that cause you distress and stress.

• Understand that depression is more common among people with diabetes, and it is okay to ask for help.

• Ask for guidance to develop healthy coping skills.

These Are Tips To Help You Get Started:

• Know your treatment goals and ask your diabetes care team for help if you experience trouble in reaching those goals.

• Develop and maintain healthy behaviors to reduce your risk.

• If you use tobacco, find a way to quit.

• Have an annual flu shot.

• Get a pneumonia shot to help prevent pneumonia.

where the plaque thrives. Scaling and root planing focuses on eliminating tartar and plaque and detoxifies the root surfaces where the disease occurs before it reaches the bone where it is not reversible.

What your dentist hopes to accomplish with soft tissue management:

• Gums that do not bleed. Healthy gums do not bleed. Bleeding is a sign of infection.

• Fresher breath and taste.

• Gums that are pink, firm, and knife

edge inter dental papilla.

• Reducing pocket depth.

• Control of gum disease. Patients with gum disease are placed on a three-month re-care. This is a requirement for successful therapy. Studies have shown that within three months the plaque recycles itself. It is very important for those who have gum disease to receive routine treatment.

From Page 56
From Page 58

loW back Pain

and give your arteries a break by allowing them to stay clear of plague build up.

Choose healthy foods that are fueled with vitamins and minerals that our bodies use to make new cells and create the energy we need to thrive and fight diseases.

Manage your blood pressure and keep it within healthy ranges so you can reduce the strain on your heart, arteries, and kidneys, which keeps you healthier longer.

If you’re overweight, you can reduce your risk for heart disease by successfully losing weight and keeping it off; especially if it is in

your mid-section as this is the danger zone for auto-immune diseases.

Diabetes appears when your body is unable to create insulin to carry your food energy into your cells. This is a good indication that your blood sugar levels are too high and need to be managed.

And last but not least, smoking damages your entire circulatory system, and increases your risk for coronary heart disease, hardened arteries, aneurysm and blood clots.

Don’t ignore the signs as they can be different in men and women. Get your check-up. Eat healthy and stay active.

sleeP Disor Ders

sive treatment that uses low wavelengths of light to promote relaxation and improve sleep quality. By stimulating melatonin production—the hormone responsible for regulating sleep—red light helps the body transition into a restful state. Additionally, red light therapy reduces inflammation and muscle tension, common culprits of poor sleep. Many individuals report feeling calmer and more refreshed after consistent sessions, making it a valuable tool for those battling insomnia or stress-induced sleep disturbances.

Salt Caves: A Natural Remedy For Better Sleep

Salt caves, also known as halotherapy, offer a serene environment where individuals breathe in microscopic salt particles. This therapy is known for its respiratory benefits, helping to clear airways and reduce

From Page 20

symptoms of asthma and allergies, which can disrupt sleep. The calming atmosphere of a salt cave promotes deep relaxation, lowering stress levels and improving sleep patterns. The negative ions in the salt are believed to enhance mood and boost serotonin, further contributing to restful sleep.

Holistic Health and Sleep Quality

Sleep and overall wellness are deeply interconnected. Stress, poor circulation, and inflammation can all disrupt sleep, but therapies like oxygen, red light, and salt caves offer natural, supportive solutions. By reducing stress, improving respiratory function, and fostering relaxation, these holistic treatments promote better sleep and overall health, helping individuals wake up refreshed and ready to face the day.

Facet Joint Dysfunction: Inflammation or degeneration of the small joints located at the back of the spine, known as facet joints, can cause localized pain, stiffness, and reduced mobility, especially with bending or twisting movements.

Why See an Interventional Pain Doctor for Assessment

Expertise in Pain Management:

Interventional pain doctors specialize in diagnosing and treating various pain conditions, including low back pain, using advanced techniques and therapies tailored to individual needs.

Accurate Diagnosis: Through a comprehensive evaluation, including medical history, physical examination, and diagnostic imaging studies, an interventional pain doctor can pinpoint the specific cause or contributing factors of low back pain, guiding targeted treatment strategies.

Multidisciplinary Approach:

Interventional pain management encompasses a multidisciplinary approach, integrating various modalities such as medications, physical therapy, minimally invasive procedures, and psychological support to address the complex nature of low back pain

DePression

mood and functional decline.

Stage 2: Major Depressive Episode – Individuals experience their first full episode, with clinically significant symptoms lasting weeks or longer, substantially impacting daily functioning.

Stage 3a: Progression of Residual/Remitted Phase – This phase may involve relapse, with individuals returning to healthy functioning followed by a return of depressive symptoms.

Stage 3b: End of Residual/ Remitted Phase – Individuals may experience dysthymia or recurrent depressive episodes, leading to increased distress and functional impairment.

Stage 4: Chronic and Severe

Major Depressive Illness – Characterized by recurrent, severe episodes and repeated treatments that fail patients, individuals in this stage may struggle to manage their condition, often facing significant disability.

Emerging Treatments

Twenty years ago, treatment options for depression were limited, but now innovative therapies have emerged.

Spravato (Esketamine), an FDA-

comprehensively.

Minimally Invasive Interventions: Interventional pain doctors offer a range of minimally invasive procedures, such as epidural steroid injections, facet joint injections, radiofrequency ablation, and spinal cord stimulation, aimed at providing effective pain relief and improving function while minimizing risks and downtime.

Personalized Treatment Plans:

Each patient’s experience of low back pain is unique, requiring a tailored treatment plan. An interventional pain doctor collaborates closely with patients to develop personalized strategies that prioritize their goals, preferences, and overall well-being. In conclusion, low back pain can stem from various underlying causes, necessitating expert assessment and management for optimal outcomes. Consulting an interventional pain doctor offers the advantage of specialized expertise, accurate diagnosis, a multidisciplinary approach, and access to advanced interventional therapies, empowering individuals to overcome low back pain and reclaim their quality of life.

From Page 54

approved nasal spray, offers rapid relief for those unresponsive to traditional antidepressants, crucial in crisis situations.

Transcranial Magnetic Stimulation (TMS) is a promising noninvasive procedure for Treatment-Resistant Depression (TRD), stimulating nerve cells in the brain to alleviate severe symptoms.

For women facing Postpartum Depression, Zurzuvae (Zuranolone) has shown remarkable efficacy, with symptom improvement occurring in days rather than weeks.

By viewing depression as a multifaceted condition, encompassing risk, symptoms, and severity, we can enhance treatment decisions. The advancements represented by Spravato, TMS, and Zuranolone provide hope and a brighter future for individuals and families affected by depression.

Reference: (1). Otto MW, Birk JL, Fitzgerald HE, Chauvin GV, Gold AK, Carl JR. Stage models for major depression: Cognitive behavior therapy, mechanistic treatment targets, and the prevention of stage transition. Clin Psychol Rev. 2022 Jul;95:102172.

Janay Taylor, MSN, CRNP and Maurice Taylor, NREMT-P

Turn static files into dynamic content formats.

Create a flipbook
Issuu converts static files into: digital portfolios, online yearbooks, online catalogs, digital photo albums and more. Sign up and create your flipbook.