


















![]()



















By Netsere Tesfayohannes, MD, ABA, ABAP
Georgetown Pain Managment
Are you tired of living with the constant pain of diabetic neuropathy? Do you long for a breakthrough that can help you manage your symptoms without relying on medications and their unwanted side-effects? We have exciting news for you! Georgetown Pain Management, with offices in Greenbelt, MD, and Washington, DC, is offering a revolutionary and minimally invasive treatment called spinal cord stimulation that brings newfound hope to patients like you. This innovative option can provide relief from the agony of diabetic neuropathy, allowing you to regain control over your life. Read on to learn how this groundbreaking treatment could be the key to your pain-free future!
Say Goodbye to Medications and Their Side-Effects
For years, traditional treatments for diabetic neuropathy have relied heavily on medications. While these drugs may temporarily mask the pain, they often come with many side-effects, including drowsiness, dizziness, and even memory loss. It’s time to break free from the shackles of medication and embrace a more effec tive and sustainable approach.
Georgetown Pain Management is proud to offer minimally invasive spi nal cord stimulation, a breakthrough treatment for diabetic neuropathy. This cutting-edge therapy involves the use of a small device, similar to a pacemaker, that is implanted near your spine. Through minimally invasive techniques, the device emits gentle electrical pulses, which interrupt the pain signals traveling from your nerves to your brain, effectively reducing or even eliminating the pain associated with diabetic neuropathy.
giving you the confidence to make an informed decision about whether minimally invasive spinal cord stimulation is right for you.
Reclaim Your Life, One Step At a Time
Imagine waking up in the morning without that constant burning pain. Imagine being able to walk, exercise, and enjoy life’s simple pleasures without being hindered by neuropathy. With minimally invasive spinal cord stimulation from Georgetown Pain Management, these dreams can become your reality. By minimizing or eliminating your pain, this treatment enables you to take back control of your life, empowering you to engage in activities you once thought were impossible.
Why Choose Georgetown Pain Management?
Georgetown Pain Management is a trusted name in comprehensive pain management. With our commitment to patient care and our expertise in minimally invasive spinal cord stimulation, we have helped many individuals find relief from diabetic neuropathy.

Our team of highly skilled specialists will evaluate your condi tion thoroughly and design a personalized treatment plan tailored to your specific needs. With our state-of-theart technology and compassionate ap proach, we are dedi cated to helping you find relief and enhance your quality of life.


Take the First Step Towards Pain-Free Living
Don’t let diabetic neuropathy dictate your life any longer.
Assistant
Alexander Kiefer, MD, D.ABA
Associate Medical Director
Assistant Professor of Clinical Anesthesiology, Georgetown University School of Medicine
Take charge of your health and embark on a journey towards a pain-free future with Georgetown Pain Management. Make an appointment at our Greenbelt, MD, or Washington, DC offices today to be evaluated for new treatment options, including the groundbreaking minimally invasive spinal cord stimulation. We are

Experience Relief Temporarily, Commitment-Free
One of the most exciting aspects of minimally invasive spinal cord stimulation is that it can be tried temporarily before making a longterm commitment. Our skilled and compassionate team at Georgetown Pain Management will work closely with you to customize a trial period, during which the device is used on a temporary basis. This allows you to experience the benefits firsthand,

here to support you every step of the way, providing the care and expertise you deserve. Treatment is covered by most insurance companies. Call 202935-6980 for a free insurance verification. Schedule an evaluation today! The time for a life without the burden of painful diabetic neuropathy is now. Break free from your limitations.



Your Health Magazine is on a mission. There are far too many people, insured or not, who do not go to the doctor when they should, and in millions of cases, don’t know who they should go to, or why.
People are encouraged to buy a new house, car, cell phone or big screen TV, and those companies make themselves very visible and their products easily attainable.
Information about, and from, local healthcare providers is not easy to find, and many times those services are difficult to access.
Information and encouragement always lowers fear and trepidation about anything, and this is especially true in healthcare. While general information is available on web-sites, specific information from local providers is almost impossible for people to find. This is one of the key reasons chronic and episodic conditions are not cared for. It is our mission to:
Make A Difference By Empowering and Encouraging People To Live Healthier By Going To the Doctor When They Should.
There is a lot of evidence that the health professionals who participate in Your Health Magazine have helped many people over the years. We at Your Health Magazine salute you!
G. Scott Hunter, Editor-in-Chief
If you would like to find out how you can participate in one of our upcoming editions, please contact the office nearest you.
MARYLAND & WASHINGTON, DC OFFICE One Town Center 4201 Northview Drive, Suite 102 Bowie, MD 20716 Office (301) 805-6805 • Fax (301) 805-6808 info@yourhealthmagazine.net
VIRGINIA OFFICE Office (301) 805-6805 info@yourhealthmagazine.net
© Your Health Magazine, 2024. The magazine and all of its contents are protected by copyright. For permission to reproduce any materials in this magazine, contact info@yourhealthmagazine.net
EDITOR-IN-CHIEF
Gregory Scott Hunter

At the Minimally Invasive Vascular Center (also known as MIVC) we have long been committed to addressing the vascular devastation that is rampant in our community. Each year cardiovascular disease is the world’s largest killer; killing more Americans than cancer. If you have painful legs, wounds that won’t heal, varicose veins, leg swelling, history of smoking, or have a family history of vascular problems and/ or are over the age of 50, you may suffer from poor circulation. Poor circulation may be responsible for causing erectile dysfunction in as much as 50 to 70 percent of men who develop the condition. Now we are happy to add expanded services! Our goal is to extend the healthy lifespan of our patients by using a comprehensive, integrative approach to achieve the most effective results. We believe that Beauty Is a Reflection of Health and Wellness. We want you to be as beautiful on the outside as you are healthy on the inside. Now
• Primary Care
• Wound Care
• Comprehensive Weight-Loss (including injectables)
• Aesthetics
• Age Spots
• Cellulite
• BOTOX® Cosmetic
• Fillers
• Microneedling w/PRP and Exosomes
• PRP Hair Restoration
• Spider Veins
• Body Contouring
• CoolSculpting
• Laser
• CoolTouch Laser
• Laser Hair Removal
• Laser Pigment Removal
• Laser Skin Resurfacing
• Laser Skin Tightening
• Skin Treatments
• Acne Scars
• PRP Injections
• Chemical Peels
• HydraFacial
• Microdermabrasion
• Sun Damage
• Vascular Procedures
• Arteriograms
• Atherectomy
• Balloon Angioplasty
• Radiofrequency Ablation – Veins
• Venogram
• Uterine Fibroid Embolization
• Coil Embolization
• Sexual Enhancement
• Hormone Therapy
• Gainswave
• P-shot/O-shot



Submitted By DMV CHILL Cryo Wellness Spa
The Styku 3D body scanning and health assessment technology is revolutionizing the way individuals and professionals approach health, fitness, and body composition analysis. Unlike traditional methods, Styku’s state-of-the-art system provides a highly accurate, non-invasive way to measure body shape, track progress, and assess health risks. This technology offers users a complete picture of their health and wellness, beyond just weight on the scale.
Using advanced infrared sensors, the Styku 3D scanner creates a precise, three-dimensional model of an individual’s body within seconds. The scan is quick and requires no physical contact or invasive procedures. The individual simply stands on the Styku platform while the system captures thousands of data points in a 360-degree scan. This data is then processed to generate a detailed, accurate image of the body, providing key measurements such as waist, hip, and thigh circumference, as well as total body volume.
Styku’s technology goes beyond physical appearance by providing valuable insights into body composition and health metrics. With its ability to calculate metrics like body fat percentage, muscle-tofat ratio, and posture analysis, Styku helps users understand how their lifestyle choices and fitness routines impact their body. Fitness trainers and health professionals can use this data to design personalized plans that cater to an individual’s specific needs, leading to more targeted and effective health interventions.
One of Styku’s standout features is its ability to assess health risks by analyzing body composition data. By examining waist-to-hip ratios and other body metrics, Styku can help identify potential health risks associated with obesity, such as cardiovascular disease, diabetes, and metabolic syndrome. This empowers users to make informed decisions about their health and adjust
their lifestyle to reduce risk factors.
Tracking Progress With Precision
Styku’s 3D scanning technology also makes it easier to track progress over time. Users can visualize changes in their body shape, making it a motivating tool for those on fitness or health improvement journeys. The visual nature of the data—showing incremental changes in body composition—provides more motivation than weight alone
and encourages adherence to health and fitness goals.
Styku 3D body scanning and health assessment technology is a powerful tool that brings personalized, data-driven insights into health, fitness, and wellness. For anyone looking to understand their body and optimize their health, Styku offers a state-of-the-art solution that is both accessible and impactful.
DMV
Perform a 3D body scan in seconds using just a simple turntable and 3D camera. In only 35 seconds, we extract millions of measurements with 2mm accuracy and reconstruct your body in 3D.
See the Difference in your Body’s Shape in 3D.
Weight scales often mislead you into thinking you’re not making progress. Nothing is more illustrative and more motivating then to actually see your body transform.
























By Marc P. Stanard, DDS, PC
Orthodontics and periodontics are closely interrelated branches of dentistry, each playing a crucial role in maintaining oral health. While orthodontics focuses on the alignment of teeth and jaws, periodontics deals with the health of the supporting structures of the teeth, including the gums, bone, and connective tissues. Together, they form an essential foundation for a healthy, functional, and aesthetically pleasing smile.
Orthodontic treatment often improves periodontal health by straightening teeth, making them easier to clean and reducing the risk of plaque buildup that can lead to gum disease. Crowded, crooked, or misaligned teeth create hardto-reach areas where plaque can accumulate, which may ultimately cause inflammation and infection of the gums—a condition known as periodontal disease. By aligning the teeth properly, orthodontics helps eliminate these risk areas, allowing for better access during brushing and flossing and decreasing the likelihood of periodontal issues.
Conversely, periodontal health is essential for successful orthodontic treatment. Healthy gums and bone provide the stable support needed for teeth to move and realign. If periodontal disease is present during orthodontic treatment, it can lead to complications, includ-

ing bone loss and the loosening of teeth, which can hinder the ability to achieve stable orthodontic results. For patients with existing gum disease, periodontic treatment is typically needed before starting orthodontic procedures to ensure a healthy foundation for tooth movement.
There are also unique considerations when orthodontic treatment is applied to patients with periodontal disease. Special care must be taken to avoid excessive force during tooth movement, as this can cause further bone loss or damage to the periodontal structures. Periodontists and orthodontists may collaborate closely in such cases, employing a more conservative approach with lighter forces and slower movement to ensure that the health of the gums and bone is not compromised during the alignment process.
Orthodontic appliances, such
as braces or aligners, may cause minor irritation or inflammation in the gums, especially if they are not kept clean. However, proper oral hygiene and regular professional cleanings can significantly reduce this risk. Orthodontists often recommend periodontic check-ups during treatment to monitor gum health, as early detection of inflammation, occlusal trauma, or bone changes can prevent more serious periodontal issues.
In summary, orthodontics and periodontics support each other in achieving optimal oral health. Straight, well-aligned teeth foster a healthier periodontal environment, and a healthy periodontium is crucial for successful orthodontic outcomes. By working together, these specialties help patients achieve both functional and aesthetic benefits that last a lifetime.
Maintaining good dental hygiene is crucial, and Dr. Marc Stanard, a periodontist and specialist in surgical implant dentistry, can help you achieve healthy teeth comfortably. We offer a wide range of specialized procedures and services to cater to your periodontal needs, such as bone surgery, scaling, and root planing, gum grafts, crown lengthenings, and sinus lifts.
• We provide advanced, affordable dental care tailored to meet your unique needs.
• Our team offers oral hygiene instruction and education on gum disease, bone loss, and other dental health conditions.
• Dr. Marc Stanard has decades of experience and a passion for his work, and he’s earned numerous designations, affiliations, and awards, including Top DDS by Washingtonian and high ratings on Google and Yelp.
• Our office is friendly and welcoming, making it the perfect place to receive top-quality dental care.


By Lubrina Bryant, DPM District Podiatry, PLLC
The holiday season is filled with delicious foods and joyful gatherings, but for those with diabetes, it can also bring unique challenges, especially regarding foot care. Diabetes can impact circulation and nerve health, increasing the risk of foot complications such as infections and ulcers. Fortunately, a few simple precautions can help you enjoy holiday treats while keeping your feet safe and healthy.
The abundance of holiday sweets can make it difficult to maintain steady blood sugar levels. High blood sugar over time can damage blood vessels and nerves, leading to neuropathy and circulation issues that heighten the risk of foot injuries. Regularly checking your blood sugar levels can help you enjoy holiday treats in moderation while staying mindful of your health.
When faced with an array of holiday treats, opt for healthier options when possible. Choose protein-rich foods, such as turkey, which don’t impact blood sugar as dramatically as carbohydrate-heavy dishes. For desserts, try a small portion or consider splitting a treat with someone. You can also bring a diabetic-friendly dish to gatherings, ensuring you have a healthy option available and reducing the temptation to overindulge.
Physical activity helps improve blood circulation and manage blood sugar, making it especially beneficial for people with diabetes. After meals, consider taking a brisk walk or joining in a fun family activity to keep
moving. These short bursts of activity can aid circulation to the feet and support healthy blood sugar levels, helping you stay on track during the festivities.
During the holiday season, you’re likely to be more active, which can increase the risk of blisters, cuts, and sores. Make it a habit to inspect your feet each evening, looking for any signs of redness, blisters, or swelling. Wearing comfortable, wellfitting shoes and soft socks can also help prevent friction that may cause
blisters. If you notice any issues, address them promptly and consult a healthcare provider if they don’t heal quickly.
5.
The cooler weather, combined with holiday activities, can lead to dehydration and dry skin. Dry or cracked skin can become a pathway for infections. Drink water throughout the day, and limit sugary and caffeinated drinks, which can lead to dehydration. Moisturize your feet daily with a gentle lotion to prevent cracks,
particularly on the heels. Keep Foot Care a Priority With mindful planning, you can enjoy the holiday season without compromising your foot health. By monitoring blood sugar, making thoughtful food choices, and prioritizing daily foot checks, you can indulge in the festivities while keeping your feet safe. Following these steps will allow you to fully embrace the season’s joy, knowing your feet and overall health are well-cared for.




By Matthew Skancke, MD & Rami Makhoul, MD Metro Colon and Rectal Surgery
In the realm of medical science, the field of colon and rectal surgery has witnessed remarkable advancements in recent years. These developments have not only revolutionized the way medical professionals diagnose and treat colorectal conditions but have also significantly improved patient outcomes
and quality of life.
Advanced medical technology has played a pivotal role in these achievements, enhancing the precision and effectiveness of procedures, reducing recovery times, and minimizing postoperative discomfort.
One of the most prominent advancements in colon and rectal surgery is the adoption of minimally invasive
techniques, such as laparoscopy and robotic-assisted surgery. Laparoscopy involves making small incisions and inserting a camera and specialized surgical tools to perform the procedure. Robotic-assisted surgery takes this a step further by offering greater precision and dexterity through the use of robotic arms controlled by the surgeon. These techniques lead to smaller incisions, reduced blood loss, and faster recovery times compared to traditional open surgery. Patients experience less pain, shorter



hospital stays, and can often return to their normal activities sooner.
Imaging technology has also transformed the preoperative phase of colorectal surgeries. High-resolution MRI and CT scans allow surgeons to obtain detailed images of the affected area, helping them plan the procedure with unparalleled accuracy. Three-dimensional modeling and virtual reality systems enable surgeons to practice complex procedures before they step into the operating room, reducing the risk of complications and improving outcomes.
Endoscopy has seen substantial advancements in recent years, with technologies like colonoscopy, sigmoidoscopy, and flexible sigmoidoscopy providing more precise and less invasive ways to detect and diagnose colorectal conditions. These procedures, often performed on an outpatient basis, have become essential tools for early detection and prevention, leading to more effective treatments. In the realm of therapeutics, new technology has led to groundbreaking advancements in the treatment of colorectal cancers. Targeted therapies and immunotherapies are being used to combat cancer cells with unprecedented precision, minimizing the harm to healthy tissues. Additionally, advanced surgical instruments and techniques are making it possible to perform complex, organ-preserving surgeries, preserving patients’ quality of life.
Furthermore, artificial intelligence (AI) is being harnessed to improve decision-making in colorectal surgery. AI algorithms can analyze vast datasets to predict patient outcomes, assist in surgical planning, and identify potential complications early. These AI tools provide valuable insights to surgeons and help optimize treatment plans.
Advanced medical technology is revolutionizing the field of colon and rectal surgery. Minimally invasive techniques, improved imaging, endoscopic procedures, and innovative therapeutic approaches are making these surgeries more effective and less intrusive for patients. The synergy between technology and medical expertise is leading to better outcomes, shorter recovery times, and ultimately, enhanced quality of life for individuals undergoing colorectal surgery. As technology continues to advance, the future holds even more promising possibilities for this critical field of medicine.


By Jacqueline D. Griffiths, MD New View Eye Center
The iDesign® Advanced WaveScan Studio is the most personalized laser vision correction available.
Vision is more than just seeing better or farther, it is about being surrounded in detail – immersed in each moment – captivated by every part, of every thing. The iDesign procedure gives your doctor the ability to deliver a truly personalized LASIK or PRK procedure, designed specifically for you.
The iDesign procedure offers:
• Next generation LASIK/PRK platform that measures the eye inside and out to enable highly precise personalized vision correction.
• The only available LASIK platform indicated for monovision LASIK in presbyopic myopic patients
• 25 times more precise than the traditional way of measuring refractive errors, which relying on subjective input
iDesign Measurement
Your vision is complex. It relies on multiple, interconnected parts of your eye to create what you see. That’s what makes the iDesign procedure so
personalized: The system measures both inside and out.
• Wavefront analysis measures how light travels inside your eye and creates what you see, detailing the imperfections in your vision.
• Corneal topography scans the outside surface of your eye, measuring and analyzing every tiny variation in curvature and elevation to help guide the laser during your treatment.
• These two measurements together create a completely personalized treatment plan.
Your personalized Measurement and Analysis: iDesign takes over 1,200 measurements of your eye and maps each data point to create a custom procedure plan designed just for you — all in only three seconds.
Your One-Of-a-Kind Procedure: Using this custom procedure plan, the laser is able to correct your vision to your exact needs in only a few minutes. No one in the world will receive the same procedure.
Your New Vision: Once the treatment is over, you’ll immediately notice the difference. After one hour, you’ll begin to see more clearly, and

within a day, you can return to your normal routine.
The procedure is combined with the Star S4 IR® excimer laser’s exclusive technology providing you with very precise treatment:
• Iris registration technology provides a noncontact, automated method to correctly align and center treatment while allowing for instant re-registration in the event of intraoperative movement
• Variable repetition rate (VRR) delivers Fourier-reconstructed shapes with optimized ablation time while minimizing thermal impact on the cornea
• Variable spot scanning (VSS) technology incorporates an array of varying laser pulse diameters to ensure an accurate match between target and ablation shapes
• ActiveTrak 3-D™ active eye tracking technology follows the eye’s motions in three dimensions to capture more than 99.4% of eye movements
• ActiveTrak™ automatic centering technology locates and automatically sets the treatment center in relation to the pupil center

Jacqueline D. Griffiths M.D. earned her undergraduate degree at Yale and her medical degree from the University of Michigan. Her Ophthalmology residency was completed at Georgetown University Medical Center.
Dr. Griffiths has been in private practice since 1994. She started her own practice and laser center, NewView Laser EyeTM in 1999 where she serves as the Medical Director. NewView’s Mission is to provide Excellence in Ophthalmologic services by giving personalized attention to every patient.
Dr. Griffiths is Board Certified and began performing laser vision correction practically from its inception in this country. She has performed thousands of cases and participated with the CRS-USA LASIK trials to get the LASIK procedure approved by the FDA.
In addition to offering CustomVue LASIK and EpiLase, NewView offers CKSM, no-stitch cataract surgery, annual eye exams, contact lenses, glaucoma and diabetic screening exams, and cosmetic services including Botox, Restylane, Radiesse, Juvederm, and eyelid surgery. NewView Optical offers affordable high quality frames and lenses for the entire family (ages 5 and older).
Dr. Griffiths is the former Ophthalmology Section Chief of Reston Hospital Department of Surgery, the former Chief of Ophthalmology for the Reston Ambulatory Surgical Center in Reston, VA as well as Loudoun Hospital in Leesburg, VA, Diplomate of the American Board of Ophthalmology, a Fellow of the American Academy of Ophthalmology, a member of the American Society of Cataract and Refractive Surgery, the Washington National Eye Center and others.


Submitted By Sivakumar Sreenivasan, DMD, MDS
Dental Implant Center of Rockville
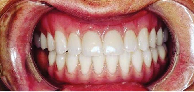
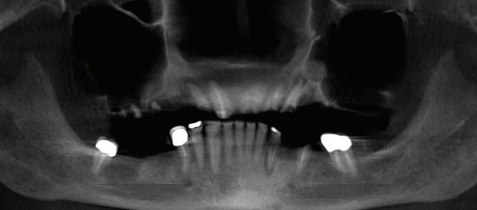
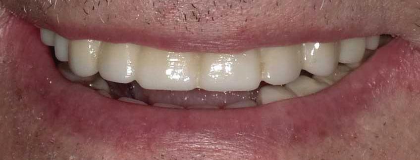
Can just four implants replace all of the teeth on the top or the bottom of your mouth? Thanks to advances in dental implant technology, that answer is a resounding yes.
Believe it or not, tooth loss is extremely common among adults, especially as we age. In fact, more than 35 million people in America are missing all of their upper and/or lower teeth. Rather than living with the discomfort and hassles of dentures, many people are opting for what is called “all-onfour” dental implant restoration.
All-On-Four: One Full Arch Of Teeth, Four Dental Implants
To fully understand this remark-
able technique for replacing teeth, you should first understand what a dental implant is. An implant is a small titanium screw that fits inside your jawbone and replaces the root-part of a missing tooth. Minor surgery is required to insert the implants. Once the implant is in place, a crown is attached to give you a highly realistic-looking and functional prosthetic tooth.
Here’s where it gets really interesting: You do not need a dental implant for each and every one of your missing teeth. All you need is four precisely placed implants on the top of your mouth, and four on the bottom, to restore your full smile. That’s the beauty of the all-on-four. And because the implant is made of titanium, it has the unique ability to fuse to living bone and function as part of it. So eventually, the dental implant becomes part of the jawbone and serves as a strong, long-lasting foundation for your new teeth.
Besides ensuring that your implants are permanently fixed in place,


Missing Teeth or Tired of Wearing Dentures?
Thanks to advances in dental implant technology, just four implants can replace all of the teeth on the top or the bottom of your mouth.
this bone fusion has another important benefit: it prevents future bone loss in the jaw. This helps to maintain a more youthful facial structure – and better oral health. But perhaps the biggest surprise about the all-on-four is how quickly it can transform your life.
What’s The All-On-Four Dental Implant Procedure Like?
It can be scary to get implants for the first time. Most of that fear is probably due to the uncertainty, so here is the step-by-step process for getting an All-On-Four dental implant.
First, your dentist will want to make sure your comfortable, so either local or general anesthesia will be administered.
Second, the dentist or surgeon will prepare your mouth for the implants, which involves removing your remaining teeth that are failing. They will then remove any diseased or infected tissue from your jaw and gums.
Next, they will begin the implantation process. This means they will



insert the titanium screws into your jawbone. Most likely, they will place two implants toward the front of your mouth and two towards the back of your mouth so the “anchors” can evenly bare the force of the denture.
After the implants have been placed, they will thoroughly clean the surgical sites and suturing all the incisions. Then you’ll be taken to a recovery room where you can relax and take time to wake up from the anesthesia.
How Do You Know If The All-On-Four Procedure Is The Right Option For You?
At your All-On-Four consultation, you’ll receive a 3D CT Scan. This scan will help determine if you need implants and assist your doctors in creating your treatment plan. So if you want to learn more about dental implants, simply schedule a consultation with an All-On-Four provider. It’s the best way to find out how dental implants can change your life.


By Jeffrey L. Brown, DDS Sleep & TMJ Therapy
joints and you end up with a very upset system. By treating the TMJ disorder, this helps to get the joints lined up more symmetrically, helps the discs to get back on the condyle where they belong, and helps the neck to line up better as well. All these can contribute to better sleep and better breathing.
The human body is a truly remarkable thing. It is like a finely tuned machine when it runs well, but when it does not, then it really can mess up your life. The TMJ (Temporomandibular Joint) is an integral part of whole-body health for all of us. When the disc within the jaw joint slips off the top of the jawbone (the condyle), it can and will pinch upon nerves and blood vessels in that area. And know that there are a lot of nerves and blood vessels traveling through the TM joints!
Displaced discs create an inflammatory reaction within our skull. This can often lead to head and neck pain that can travel down and throughout the rest of the body. Osteopath doctors (along with TMJ specialists) are well aware that a slipped disc in the jaw can directly correlate to ACL problems in the knees. It may seem far fetched to some of our dear readers, but it is quite true.

An easier to understand concept is that if the discs are slipped off the condyles, this will cause an asymmetry to the jaw and it will tip to one side or the other. Then, the neck compensates by tipping as well, and over time this can lead to turning and twisting of the back. The importance of the TM joint cannot be understated. Your entire body depends on this little joint being symmetrical and with the discs in proper position. Otherwise, the whole body is affected.
When there is a TMJ problem, quite often the neck is also out of alignment. This can contribute to OSA – obstructive sleep apnea – because a twisted neck tightens up the airway and reduces the ability of the body to breathe properly. Then you add on the inflammation in the
One of the far less discussed aspects
of TMJ disorder is a little thing called happiness. That’s right, if you have TMJ disorder you are far more likely to live with pain, lack of sleep, less ability to focus, and a whole host of other problems to deal with. And because of all the health problems associated with TMJ disorder, you are nowhere near as likely to be happy with your life.



As a TMD practitioner, every day of the week people come to the office and tell me how they now have their lives back. They can sleep better, focus better, have less pain and enjoy being with friends and family so much more. By wearing simple little devices in their mouth, they can function and feel better than ever before. This is what TMJ treatment can do for you.
Dr. Jeffrey Brown has limited his practice to focus only on TMJ Disorders, Craniofacial Pain Management and Sleep Apnea. By fixing slipped discs in the jaw joints, Dr. Brown can significantly reduce the pain patients experience in the head/neck region and other symptoms associated with jaw joint problems. Sleep & TMJ Therapy may be able to improve the quality of life for you or a loved one – we encourage you to contact us with any questions or concerns.
“Dr. Brown and his staff are absolutely wonderful. I was diagnosed with Dystonia. I could not turn my head and had a ton of pain. My doctors offered no help and no advice besides Meds and Botox. Since having the appliance I have NO pain and I can turn my head. I would highly recommend them to anyone. I feel Dr. Brown and his staff really care about their patients and helping them to get better. They do not just numb the symptoms but fix the problem. Thank you from the bottom of my heart. I feel like the old me again!” - D. Thomas
“My daughter has been treated by Dr. Stack and Dr. Brown for the last 2 1/2 years, and we are very fortunate to have found them. Prior to that she was being treated by a neurologist at a Children’s hospital. She was on medications for tics and associated muscle pain, OCD/repetitive thoughts, sleeplessness and more (all possibly associated with Tourettes). Drs. Stack and Brown installed spacers to alleviate pressure on nerve bundles in the jaw, and subsequently braces to complete the process. Her symptoms have diminished significantly. She is off medication, her tics have all but disappeared, she can concentrate better in school, and she is once again cheerful and relaxed.” - Susan
By Mara Holton, MD Anne Arundel Urology
Kidney stones are a common and painful condition that affect millions of people worldwide. They occur when certain substances in urine— such as calcium, oxalate, and uric acid—crystallize and stick together, forming hard deposits. These stones can range in size from a grain of sand to a golf ball, and depending on their size, they may pass on their own or require medical or surgical treatment.
Kidney stones are solid pieces of material that form in the kidneys when the concentration of certain minerals in your urine becomes too high. The stones may stay in the kidney or travel through the urinary tract, which includes the ureters (the tubes that carry urine from the kidneys to the bladder), the bladder, and the urethra (the tube that carries urine out of the body).
There are several types of kidney stones, classified based on their
composition:
1. Calcium Stones: The most common type, typically made of calcium oxalate or calcium phosphate. Oxalate is a naturally occurring substance found in some foods.
2. Uric Acid Stones: More common in people who don’t drink enough fluids, have a high-protein diet, or have gout.
3. Struvite Stones: These can form after a urinary tract infection and grow quickly.
4. Cystine Stones: Rare, occurring in



people with a hereditary disorder called cystinuria.
Kidney stones form when your urine contains more crystal-forming substances than the fluid in your urine can dilute. Risk factors for developing kidney stones include:
• Dehydration: Not drinking enough water can lead to concentrated urine, making it easier for stones to form.
• Diet: A diet high in salt, protein, and sugar can increase your risk. Foods high in oxalates, such as spinach, nuts, and chocolate, can also contribute.
• Family Or Personal History: If someone in your family has had kidney stones, you’re more likely to develop them.
• Medical Conditions: Conditions like gout, hyperparathyroidism, and urinary tract infections can increase your risk.
• Medications: Certain medications, such as diuretics, antacids, or medications for seizures, may increase the likelihood of stone formation.
Symptoms of kidney stones may not be noticeable until the stone begins to move within the kidney or into the ureter. When this happens, symptoms can include:
• Severe Pain: Often in the back or side, below the ribs. The pain may spread to the lower abdomen and groin.
• Painful Urination: You may feel discomfort or a burning sensation when urinating.
• Blood In the Urine: Your urine may appear pink, red, or brown.
• Cloudy or Foul-Smelling Urine: This could indicate an infection.
• Nausea and Vomiting : These symptoms often accompany the pain.
• Frequent Urination: You may feel an urgent need to urinate more often than usual.
• Fevers & Infection : In some cases, stones can be associated with bladder, kidney or even systemic infections such as sepsis.
To continue reading this article, please visit: https://yhm.news/AAUrology2


Dr. Wolcott received his DDS degree from the University of Maryland School of Dentistry & keeps up-to-date on the latest dental trends through continued education. He has over 25 years of experience in the placement & restoration of broken, damaged & missing teeth.


Dr. Poupard, who is fluent in French, received dual DDSs from Paris Descartes University & University of Maryland School of Dentistry, where she also completed a one–year residency in General Dentistry. Dr. Poupard actively embraces new & improving technology & advances in dentistry through continuing education.
Dr. Centty, who is fluent in Spanish, received dual DDSs from Cayetano Heredia University & University of Maryland School of Dentistry, where she also received her MS & a certificate in Advanced General Dentistry. Dr. Centty remains abreast of the


COSMETIC SURGERY
• Breast Augmentation
• Abdominoplasty (Tummy Tuck)
• Liposuction
• Hair Transplants
• Mommy Makeover
• Facial Surgery
NON-INVASIVE TREATMENTS
• Botox®, Dysport®, Xeomin®*
• BellaFill®
• Juvederm*
• Restylane®*
• TempSure Envi
• Endermologie
• Zerona
• Lipolight LASER TREATMENT
• Hair Removal
• Vein Treatment
• Laser Resurfacing
WELLNESS SERVICES
• Bioidentical Hormones (BHRT)
• ED Treatment for Men
• Medical Weight Loss


the Friendship Heights Metro)

By Yemi Adesanya-Famuyiwa, MD Montgomery Fertility Center
A cancer diagnosis is arguably one of the most devastating things that can happen in a person’s life. It causes an incredible amount of stress both emotionally, physically, and financially.
What’s even more devastating is to have this diagnosis made in one’s 20s right after their marriage. The diagnosis of cancer and its subsequent treatment can impact future fertility. This leads to another devastating problem to process at that time – impending future infertility. Infertility has been likened to loss of a loved one. In this case, the loss is of a loved one that has yet to be born. The loss felt is no different than if a live born child had passed away.
The combined pain of a new onset cancer diagnosis and subsequent treatment with the potential for future infertility is doubly devastating.
The unfortunate conundrum is that many young cancer patients are now left to financially bear the cost of medical care as well as the cost of fertility preservation. While there are resources sometimes for medical treatment, most resources do not factor in the fact that patients will need multiple doctors’ visits, will need copayments and deductibles met, will need to purchase medications, and pay for transportation to and from care centers. All these factors combined also impacts their ability to work during the time of such treatment. This doubly impacts their financial status because they cannot also work and earn money during such a time.
Added to this problem is the need for fertility preservation. The unfortunate fact is that most insurance plans do not cover fertility preservation treatment. Depending on the resources of the patient and their socio economic

status, if they are even on Medicaid, they will find that Medicaid has no fundings whatsoever for fertility treatment or preservation. Most additional
charitable organizations set up to support fertility do not include fertility preservation for cancer patients.
see “Fertility,” page 38 Distracted? Stressed? Overwhelmed? Burned out?

Brain training allows your brain to see what it is doing and adjust and re-balance in response.
Also known as neurofeedback, it is a non-invasive way to promote wellness and continued growth.
We are certified providers of NeurOptimal® brain training. With more than 20 years and millions of hours of use worldwide, NeurOptimal® is a safe, time-tested, and effective brain training system.

Call or Email Us Today!
Office sessions in Friendship Heights by appointment Visit www.BrainSpaNeurofeedack.com Call or Text: 202-480-0010
Email: BrainSpaMaryland@gmail.com

Our mission is to assist our patients in creating the families of their dreams, whether it be at the present or to maintain the possibility in the future.
Medical Director Dr. Famuyiwa, a double board certified fertility specialist and an advocate for personalized holistic fertility care, is at the forefront of providing state-of-the-art care based on emerging and advanced new technologies in the most compassionate of manners.

By Michael Rogers, DDS Fairlington Dental
Understanding TMJ Disorders
TMJ, or temporomandibular joint disorder, refers to pain or discomfort in the jaw joint and surrounding muscles. This small but powerful hinge is responsible for movements like chewing, talking, and yawning. When something goes wrong—whether from misalignment, stress, or injury—it can lead to persistent pain and limited movement.
A TMJ disorder can be hard to recognize, as the symptoms may seem unrelated at first. However, if you’re experiencing jaw pain or stiffness, frequent headaches, or a clicking sound when you move your jaw, these signs may be pointing to a TMJ issue. Understanding this condition is the first step toward relief.
Symptoms and Daily Impacts
TMJ disorders can show up as a variety of symptoms. Many people feel tenderness in their jaw or around the ears, while others experience headaches, neck pain, or even difficulty chewing. You might hear or feel clicking when you open or close your mouth, or notice your jaw occasionally locks up.
The discomfort isn’t limited to the jaw alone; it often affects overall well-being, making sleep difficult or affecting focus during the day. Some people even experience dizziness or ringing in their ears, making TMJ disorder a condition that impacts far more than just the jaw. With proper care, it’s possible to ease these symptoms and get back to enjoying daily life.
What Causes TMJ Disorders?
A range of factors can contribute to TMJ disorders, and for many, the cause is a combination of several elements. For instance, a misaligned bite or jaw can gradually strain the joint over time. Teeth grinding or clenching, often a response to stress, adds pres-
sure to the joint and nearby muscles, especially during sleep when you may be unaware of the tension.
Stress itself can lead to jaw clenching and muscle tension, worsening TMJ pain. For some, arthritis in the jaw joint is the underlying cause, while for others, a previous injury or accident may have created the condition. Each cause requires a personalized approach, making it important to work with a professional who understands TMJ intricacies.
For those experiencing TMJ pain, relief is possible through a combination of self-care practices and professional treatment options. At home, applying cold packs can help reduce swelling, while a warm compress may soothe sore muscles. Gentle jaw exercises, recommended by a dental professional, can also improve movement and reduce discomfort.
If pain persists, dentists often recommend custom-made splints or mouthguards to relieve jaw tension. These devices, fitted to your unique
bite, protect against nighttime grinding and help realign the jaw. In cases of jaw misalignment, orthodontic treatments like braces or aligners may be needed to correct bite issues, which can relieve TMJ stress.
Physical therapy is another effective option, with stretches and targeted exercises that relax the jaw muscles. For severe or persistent cases, minimally invasive treatments, such as injections to reduce muscle tension, can provide long-lasting relief. Working closely with a knowledgeable dentist can help you find the combination of treatments that best fits your needs.
Taking steps to prevent or lessen TMJ discomfort can make a difference. Managing stress through regular relaxation techniques, such as meditation or yoga, can reduce the tension that often contributes to TMJ pain. Maintaining good posture, especially while sitting at a desk or looking at a
Please see “TMJ Relief,” page 38


At Fairlington Dental, we understand the connection between a healthy smile and a healthy body. As a result, we look at the whole person to discover the reasons a patient may have gum disease or a bad bite. A number of studies link heart disease and other serious conditions to the presence of periodontal (gum) disease. This research makes it vital that we take a Complete Health approach to your dental care. Dr. Rogers will listen to you, conduct a careful assessment, and carefully explain your proposed customized wellness plan. He will then take the time to answer all of your questions. You become a partner in your oral health goals!
Our team has mastered the techniques of gentle dentistry and is skilled at helping patients with any level of apprehension relax and grow comfortable with visiting the dentist. Anxiety and tension have a variety of sources, so it’s important for us to listen to your concerns as well as your goals and history. Then we address your anxieties and proceed with gentle treatment only when you’re ready. We deliver all of this in an office that is environmentally aware, while you enjoy a variety of spa-like amenities during your visit.
One of our greatest joys is helping patients smile again, especially those who may not have seen a dentist in a while. You’ll be amazed at how the quality of life can change! We strive to create a partnership with you that starts the moment you walk through our door.

By Toni Greene, Owner Happy Hour Yoga on Zoom!
There are many ways of healing. Healing is an awareness that you sense from your inner self (subconscious mind), that tells you that you need to explore what’s happening within yourself internally and consciously. Mind, body, and spirit (the soul) all need healing. The mind tells you what you are experiencing in the given moment. The body reacts as the mind releases the thought. The thought can be positive or negative, and the thought sends the message to the body organs, and then the organs respond to the thought.
Consulting hypnosis – helping everyday normal people with everyday normal problems – can help you with problems or situations by helping the way you interpret the thought and then respond to the thought. The thoughts that bring fear often affect the kidneys, and the thoughts that trigger anger often affect the liver and heart.
The organs reside in the body and mind by way of the body systems. The systems are managed, controlled, balanced, repaired, or healed according to the thoughts you are having about that system and the methods you choose to heal or repair that system.
Often you will hear people say that the doctor can’t seem to find their problem. Whether the doctors find or don’t find the cause of your pain (mental, physical emotional, or spiritual) it is uncomfortable. You simply want relief. You want the doctors to tell you something so that the thought can trigger an emotion in certain organs to heal or not.
Consulting hypnosis can help you sort out everyday problems such as the thoughts that surround COVID-19, or your children, spouse, boss, or whomever – the consulting hypnotist can help you sort things out. Hypnosis helps you to become aware of your state of mind such as your thoughts, feelings, and emotions that can get trapped in the body, in
your organs. A consulting hypnotist helps you to identify the state (fear, anger, sadness, depression, or love) and release it, without the use of drugs or surgery.
Going to see a consulting hypnotist is like going to talk with a friend, a person who has everyday problems too, and who has the tools to teach you how to not just cope but live.
Often our creative imagination in our thoughts helps us to create make-believe situations. But what’s not imagined is the effect it has on your organs and your systems. What is imagined is you feeling whole and complete to go about living your life in the reality that you have healed. What is real and not imagined is going to see a consulting hypnotist, and that it does help.



Dr. Brown’s practice focuses on TMJ, sleep apnea and orthodontics. This allows Dr. Brown and his team to provide individualized, focused care for patients dealing with these specific issues. Every day, his practice helps patients of all ages with facial development, sleep issues, chronic headaches, migraines, neck pain, movement disorders, and much more. His training also includes multiple disciplines involving the cranial bones in the skull, and the discs in the jaw joints. Through treatment, Dr. Brown is able to reduce these symptoms, align cranial bones, avoid extractions, and greatly reduce the need for traditional braces. His expertise allows him to identify issues early on which promotes proper facial development using dental appliances. If there is an internal imbalance, whether an adult or child, the body does not develop or function properly. When the cranial bones are lined up correctly, patients are able to function, sleep and generally live better.
With that in mind, the team at Sleep & TMJ Therapy takes a whole-body approach when treatment planning. They work hand in hand with physical therapists and osteopathic doctors for a better success rate. Dr. Brown is devoted to helping patients of all ages live a symptom free life.
Degrees & Certifications
Dr. Brown earned his degree from Georgetown Dental School and completed residencies with Emory University Hospital for Dental Sleep Medicine and the ALF Appliance Therapy Institute.
Outside the Office
When not seeing patients, Dr. Brown is a sought-after speaker. He has lectured all over the world, including D.C., Dubai, Seoul, London, Norway and Toronto. He has also been featured on Channel 9’s Good Morning Washington, several podcasts, and numerous magazines and journals.
Professional Affiliations
Dr. Brown is a diplomate of the American Academy of Craniofacial Pain, a member of the American Academy of Dental Sleep Medicine, American Academy of Gnathological Orthopedic, Academy of Integrative Pain Management American Dental Association, a Fellow of the American Academy of Craniofacial Pain, and Legacy Provider for the ALF Interface Academy.
Do you have TMD or Sleep Apnea?
TMD Symptoms: Noise in the jaw joints when opening and closing your mouth, difficulty chewing, limited opening, tender facial muscles, ear ringing, uncomfortable bite, jaw locking, headaches, migraines, dizziness, vision issues as well as pain in the jaw area which can radiate to the ears, head, neck, shoulders, and back.
Sleep Apnea Symptoms: Snoring, waking up gasping for air, feeling tired and irritable in the morning, difficulty controlling weight, concentration problems, morning headaches, episodes of not breathing, waking with a sore throat, forgetfulness and mood changes. If you believe you may be suffering from TMD or Sleep Apnea, don't wait... Call today to schedule a consultation with Dr. Brown: 703-821-1103.

Rex Hoang, DMD, PC, has been the president of his family-run business, DC Dental Spa, in Washington, DC for over 28 years, and gets great satisfaction from helping his patients achieve beautiful, healthy smiles. Dr. Rex has extensive training and experience in general dentistry, periodontology, endodontology, oral surgery, dental implants, sleep apnea and cosmetic dentistry.
Dr. Rex earned his title of Doctor of Medicine in Dentistry from The University of Pennsylvania School of Dental Medicine in 1990, and to stay up-to-date in the latest dental practices and technologies, Dr. Rex regularly attends continuing education courses. Recently, his continuing education took him to the Dominican Republic, where he provided dental implants to disadvantaged community members. He believes in delivering the very best care for his patients’ needs while being sensitive to their comfort levels and concerns, and a love for dentistry runs in the Hoang family. Of his five children, two have joined him in the field of dentistry. Dr. Rex’s son Dylan is currently pursuing dentistry in school, and Dr. Rex is looking forward to him joining the practice upon graduation.
Outside of dentistry, Dr. Rex has many interests and hobbies, including piano and guitar. He also stays active playing golf, tennis and practicing martial arts.
Dr. Hoang Leads Charitable Mission to Laos & Vietnam
Dr. Hoang, his wife and daughter traveled to Laos and Vietnam. On this trip prepared food and money was donated to those people of need. Dr Hoang’s family personally prepared the food, visited and spoke with the local communities and had a wonderful experience.






University. Prior to entering private practice, he served a general practice residency at Sepulveda Veteran’s Hospital. Dr. Rogers has invested significant time into ongoing education, seeking to learn emerging dental technologies and techniques in the areas of cosmetic dentistry, implant dentistry, sleep apnea treatment, orthodontics, temporomandibular joint (TMJ) disorders, and safe amalgam replacement. His most recent training in airway management has allowed him to offer a cure for sleep apnea using an intraoral device known as the DNA appliance. He is a member of the International Academy of Oral Medicine and Toxicology, American Academy of Dental Sleep Medicine, American Academy of Craniofacial Pain, and also of Mercury-Free Dentists. He has served as a guest author for TMJ News & Views, and when that publication ceased, began his own quarterly newsletter. You may have seen one of his television interviews on “A New Me” or the local PBS station, or seen his articles and features in Ladies’ Home Journal, Arlington Magazine, and New Beauty. Dr. Rogers is an active participant in the community as a sponsor for Encore Theater, Little League of Alexandria, Abingdon Elementary, and the local Fairlington Farmer’s Market. He and his wife Terri enjoy spending time with their daughter Megan and her husband Corey traveling around the country and the Caribbean.


Oral and Maxillofacial Surgeon
Diplomate, American Board of Oral & Maxillofacial Surgery
DMD, MDS • OMFS, MD, PA
77 South Washington Street Suite #205, Rockville, MD
www.OMFSMD.com

Meet Dr. Sreenivasan:
Dr. Sreeni came to the United States as an Oral and Maxillofacial Surgeon in the year 1990 and put himself through dental school again at Boston University and Oral and Maxillofacial Surgery residency at University of Medicine and Dentistry of New Jersey.
As an Oral and Maxillofacial Surgeon, Dr. Sreeni manages a wide variety of problems relating to the Mouth, Teeth and Facial Regions. He practices a full scope of Oral and Maxillofacial Surgery with expertise ranging from Corrective Jaw Surgery to Wisdom Teeth Removal. His passion is in implant surgery and he is well known for same day placement of implants following teeth removal be it for single teeth or a complete “makeover” (Smile in a day). He can also diagnose and treat Facial Pain, Facial Injuries and TMJ disorders and perform Bone Grafting and Sinus lift procedures.
Dr. Sreeni completed a residency in Anesthesiology at Mount Sinai Hospital, New York in 1994 and has worked as an Attending providing anesthesia services for children and adults in the ambulatory out-patient center of the hospital.
Dr. Sreeni is an Advanced Cardiac Life Support instructor with the Adventist group. He is also certified in Pediatric advanced life support and is very capable of handling emergencies that could possibly arise in the office. Dr. Sreeni’s staff are trained in assisting with IV Sedation/General Anesthesia within our state of the art office setting. Patients are continuously monitored during and after surgery. The goal of our office is to provide professional service with compassion and an understanding of the patients’ perspective.

Dr. Mary Alexander, periodontist, obtained a Bachelor of Science degree in Biology from the University of South Carolina and continued her education in dentistry at the University of Maryland School of Dental Surgery where she received her DDS degree. Prior to and during her dental studies, Dr. Alexander received funding and support from the National Institutes of Dental Research for her involvement in the periodontal research.
After obtaining her DDS degree Dr. Alexander spent one year at the Veteran’s Administration Hospital, in general practice residency focusing her training in the area of anxiety patient management. She then attended Harvard University and earned her clinical specialty in periodontics and a doctorate in medical science. Her doctoral research was focused in the study of bone function and metabolic disease of the bone.
Dr. Alexander received extensive training in dental implantology, periodontal plastic surgery, bone regenerative procedures and sedation dentistry. All aspects of Dr. Alexander’s training are incorporated in her periodontal practice assuring patient’s thorough and comprehensive periodontal treatment.


info@revolutionmed.com
Washington, DC
1050 Connecticut Avenue, NW 5th Floor, Washington, DC 20036

Dr. Michael L. Glickman, MD, is a triple board-certified family medicine, lifestyle medicine, and obesity medicine physician who has been practicing since 2013, and founded Revolution Medicine in 2021.
Revolution was born from the idea that there is something missing in the US health care system, which has been designed to treat disease rather than prevent it. Nearly three-quarters of adults are overweight, yet doctors have little time to promote wellness, with limited advice beyond “eat less, exercise more.”
Dr. Glickman’s aim has been to correct this imbalance by creating a holistically tailored program that considers the whole person, mind and body, to promote weight loss, and prevent and reverse chronic disease.
When he’s not taking care of patients, Dr. Glickman spends time with his wife and two children. To stay healthy, Michael weight trains, plays tennis, and cooks nutritious meals. He is a classically trained violinist and enjoys practicing in his free time. Michael graduated from the Florida State University College of Medicine, and completed his residency at VCU-Fairfax Family Practice / INOVA Fairfax Hospital.
Revolution Medicine, Health & Fitness is a membership-based specialty practice on a mission to provide a comprehensive, affordable, and accessible weight loss solution to all, through an innovative technology-driven platform, integrating evidence-based weight loss medicine, a preventive approach to individual health, and personalized nutrition and fitness.

Associate Professor of Urology | Chief, Urologic Oncology Director, Genitourinary Multi-Disciplinary Clinic | Site Director, National Cancer Institute Fellowship in Urologic Oncology | Urology Residency Research Mentor
Dr. Michael J. Whalen, MD, is an accomplished Associate Professor of Urology and Director of Urologic Oncology at the George Washington University School of Medicine. A graduate of Harvard College and Columbia College of Physicians & Surgeons, he completed residencies at New York Presbyterian Hospital-Columbia University Medical Center. Dr. Whalen holds board certification in Urology and underwent specialized fellowship training in Robotic and Minimally Invasive Urologic Oncology at Mount Sinai Hospital and Urologic Oncology at Yale-New Haven Hospital.
Renowned for expertise in urological cancers, Dr. Whalen excels in both major open and minimally invasive surgeries, including pioneering the supine-position robotic retroperitoneal lymphadenectomy for advanced testicular cancer. His clinical focus spans prostate, bladder, kidney, and testis cancers, utilizing advanced techniques like robotic surgery with the DaVinci system and transperineal prostate fusion biopsy.
Apart from clinical practice, Dr. Whalen is actively involved in clinical outcomes research, contributing to numerous peer-reviewed journals. Recognized as a dedicated mentor, he received the Teacher of the Year award from Urology residents in 2019. Acknowledged for excellence, Dr. Whalen was awarded the Commission on Cancer, Cancer Liaison Program Outstanding Performance Award in 2021 and listed as one of Washingtonian’s Top Doctors in 2023. His commitment extends to education and cutting-edge clinical trials, solidifying his reputation as a leading figure in urology.


Degrees and Training: PhD in Demography/Gerontology, MS in Economics
Certificates From: Georgetown University, American University and New York University
Professional Memberships and Associations: IUSSP – International Union for the Scientific Study of Population, National Council on Aging (US).
Areas of Interest: Traveling, Fitness, Camping, Health Nutrition, Reading and Exploring the Internet.
Family: Son – Co-Owner
Services: Live in/out, short, long, nights, 24/7, Help at home, nursing home or hospital.
OUR MISSION
To help ELDERLY to remain at their homes and in the life’s mainstream of their choice as long and independently as possible. As well as deliver personal attention and assistance to the senior patients while at the hospitals, nursing and assisted living facilities. To support a fast and successful recovery for PEOPLE OF ALL AGES (including youth and middle-aged patients) during and after their hospitalization, after surgery, at time of illness, infirmity, loneliness – at their homes or in medical facilities. While providing care for our patients – we ARE GIVING PEACE OF MIND FOR THEIR FAMILIES.


Foot doctor Lubrina Bryant, DPM is dedicated to getting to the root of your foot or ankle problem.
District Podiatry, PLLC specializes in general foot, ankle and leg care. Having chronic foot and ankle pain can affect the quality of your life and finding the right foot and ankle specialist can be just as difficult. We know how hectic life can be and we are committed to making our practice and care convenient and accessible.
WE ACCEPT MOST INSURANCE PLANS AND WELCOME NEW PATIENTS!
From routine checkups to minor foot surgery, Lubrina Bryant, DPM is a podiatrist who is equipped to handle all your foot and ankle needs.
Services Include: Routine Foot Care, Diabetic Foot Care, Wart Removal, Ingrown Toenails, Foot, Ankle or Heel Pain, Toenail Fungus, and Bunions.



•
•
• Fellowship in
•
Dr. Ghassan Jacklis and his dedicated team want you to feel comfortable in our office, and to know that when you come here, you will receive outstanding dental care and personalized service. Our associates have been working together for years, with many years of advanced training, which has allowed us to perfect our communication and better serve you.







Board Certified, Ophthalmology by the American Board of Ophthalmology
Degrees, Training and Certificates: UCLA Medical School; Yale University Hospital for Residency; Louisiana State University for Cornea and Refractive Fellowship
Professional Memberships/Associations: American Academy of Ophthalmology; American Society of Cataract and Refractive Surgery; International Society of Refractive Surgery
Areas of Interest: All laser custom LASIK; Cataract Surgery; Botox; Dermal Fillers; Cornea Comprehensive Ophthalmology
Practice Philosophy: Envision Eye and Laser is committed to delivering superior ophthalmic care with state-of-the-art technology and patient education in a caring, compassionate environment. We cater to a diverse population of adults and work with your primary care physician to improve the quality of your overall health and life. Your best vision is our focus.


Dr. Reddy has been serving the Lorton area for over 14 years as a fulltime orthodontist. She graduated Dental School with high honors from Boston University School of Dental Medicine. She has a deep desire to learn and treat patients in the field of Orthodontics and has pursued further specialty training in the field of Orthodontics and Dentofacial Orthopedics.
Dr. Reddy was invited to join the clinic faculty at UNLV, School of Dental Medicine. Before entering private practice, Dr. Reddy worked as a faculty member at UNLV, School of Dental Medicine, Orthodontics Residency Program
Professional Memberships
Dr. Reddy is an active member of many organizations, including American Dental Association, Virginia Dental Association, American Association of Orthodontics, Southern Association of Orthodontics and Northern Virginia Orthodontic Study Club.
Our practice’s top priority is to provide you with the highest quality orthodontic care in a friendly, comfortable environment.
We offer the latest in equipment and technology such as 3D Scanner and dentures, digital X-rays, clear aligners, braces and retainer program. These are to ensure that you receive the most effective care possible.
We recognize that every patient has different needs, and we pride ourselves in the courteous service we deliver to each person who walks through our doors. We welcome children and adults to our office. Adults have become a larger percentage of our patient-pool in recent years.
Dr. Reddy and her staff are committed to helping you achieve the smile you deserve – a healthy, beautiful one that you will be proud of. We would welcome the opportunity to earn your trust and deliver you the best service in the industry.



44025 Pipeline Plaza Suite #225, Ashburn, VA
info@kidzsmile.com

Dr. Lynda Dean-Duru pursues pediatric dentistry with a passion rooted in her fascinating personal story.
For Doctor Lynda, the pathway to dentistry started during her own childhood experience with a dentist’s impact in her native Nigeria. As the eldest of nine children (including seven brothers), she witnessed a total transformation in the health of one of her little brothers after his aches and pains were totally resolved under the care of a well-trained dentist. As a result of this transformative experience, young Lynda determined to extend that kind of care to others as her life’s calling. She went on to earn her dentistry degree from the University of Benin, her General Practice residency from Howard University Hospital, her Pediatric Dentistry Specialty Training from Children’s National Medical Center, Board Certification from the American Board of Pediatric Dentistry, and her Fellowship Laser Certification from the Academy of Laser Dentistry.
Doctor Lynda has undertaken much continuing education in Orthodontic training and is a fellow of the United States Dental Institute and a member of the prestigious Gnathos education group in Atlanta, Georgia. She holds a certification in Oral Myology from the International Association of Oral Myology (IAOM). She has completed levels 1 and 2 of the Advanced Light force functionals (ALF) therapy, ALF Interface Academy Foundations, Genesis, and other courses.
Doctor Lynda is part of an Integrative team of healthcare providers seeking to deliver optimal health to our pediatric population by education, awareness, and collaborative care. She also has a special interest in treatment that focuses on infants’ breastfeeding and prevention of sleep apnea in children.
She is a member of numerous professional and civic associations and provides tens of thousands of dollars in pro bono screenings and procedures along with other community service in Northern Virginia every year.


Family dentistry has been a way of life for me, and the passion for caring for children is in my genes. My mother, Dr. Lynda Dean-Duru, also a pediatric dentist, was my first inspiration towards family dentistry. Having started my journey in family care working as a pediatric dental assistant at Ashburn Children’s Dentistry, I spent many summers as my mother’s mentee. Watching what seemed like magical healing art she deployed while treating her patients and knowing the need and the power of proactive preventive dental health for children, I chose a career specializing in pediatric dentistry. It is an honor to join my mother in practice at Ashburn Children’s Dentistry where I get to fulfill my commitment to helping each child and parent have a positive and transformative dental experience, with compassion and fun! Having matured as an integrative laser pediatric dental surgeon and absorbing the ethos of Ashburn Children’s Dentistry, I work tirelessly to stay abreast of emerging research, and improve the quality of life for children by learning from the world’s leading researchers and clinicians. Through these means, we are continually integrating critical aspects of oral structure, craniofacial development, and its impact on the pediatric airway in the service of providing optimal patient outcomes. Caring for children is so powerful and rewarding and with that, understanding the importance of utilizing gentle and minimal intervention therapies. Treating the source of their issues—instead of the symptoms—and focusing on early prevention, has been critical to my role in educating parents and assisting their blossoming child’s development into a healthy and resilient adult.
I hold an undergraduate degree from Columbia University in New York, where I studied Psychology. I received a Doctorate of Dental Surgery from Virginia Commonwealth University in Richmond, Virginia and completed my Pediatric Residency at Interfaith Department of Dental Medicine in Brooklyn, New York, where I served in a leadership role as Chief Resident. Board certified, I am a proud Diplomate of the American Board of Pediatric Dentistry.
When not helping my young patients build happy smiles, I enjoy spending time with family and friends, growing in my faith, improving my dancing skills, learning boxing moves, traveling — and cheering on Washington sports teams!
“Dr. Krystle,” as she is known by her patients, is thrilled to join her mom, Dr. Lynda, in practice. Patients and parents compliment her fun, compassionate approach. They are also impressed by her commitment to helping each child and parent have a positive dental experience. Having matured as a dental surgeon, she is constantly working to enhance her capabilities in the field.


Germantown Square Shopping Center, Lower Level 12627 Wisteria Drive, Suite C & D, Germantown, MD 240-715-6570
I knew I wanted to be a veterinarian since I was five years old. At 14, I began working in veterinary clinics, and caring for pets has been my lifelong passion. I earned my DVM from The Ohio State University in 1977. After ten years in clinical practice, I sought a new approach to pet health, discovering veterinary acupuncture in 1988, and became certified by the International Veterinary Acupuncture Society, opening the door to holistic medicine.
In 1993, I sold my practice and moved to Sedona, AZ, embarking on a spiritual journey where I became a Tibetan Buddhist nun from 2002 to 2023. I believe in the equality of all life and aim to relieve suffering. In 1994, I pursued Energy Healing and completed a self-healing journey.
After volunteering during Hurricane Katrina, I worked with Tara’s Babies Animal Sanctuary and Garuda Aviary Parrot Sanctuary. In 2006, I returned to Maryland, joining Veterinary Holistic Care, and later co-founded Holistic Veterinary Healing in 2013. I earned my Master’s in Human Acupuncture in 2010, treating both hu man and animal patients until 2016, when I dedicated myself to animal care after the passing of my partner, Dr. Kitty Raichura.
I am certified in Medical Ozone Therapy and a Fear Free Practitioner. I live in Germantown with my two dogs, Bodhi and Jack, and enjoy time with friends, family, and my pets.

I’ve always had a passion for medicine, growing up with a background in Traditional Chinese Medicine (TCM). As a child, my dad taught me Gua Sha and acupressure to help with his back pain, sparking my interest in various healing modalities. Though I loved animals, I initially thought medical school was the only path to practice medicine. Before discovering veterinary medicine, I worked in acupuncture clinics, shadowed at hospitals, volunteered with the Red Cross at Walter Reed, and conducted research at UMD and the FDA.
In 2015, I was introduced to Traditional Chinese Veterinary Medicine (TCVM) by Dr. Allison Marshall, and I immediately knew I wanted to pursue veterinary medicine. After two years of shadowing veterinary acupuncturists and a lab animal medicine clinician, I earned a Bachelor’s in Biomedical Engineering in 2017 and attended the Virginia-Maryland College of Veterinary Medicine (VMCVM).
I’ve developed a strong interest in integrative medicine, surgery, pathology, and exotics. I also worked in the Clinical Pathology lab and participated in research at VMCVM. In 2020, I began my acupuncture (CVA) training with Chi University and completed my DVM in 2021. My goal is to combine holistic and conventional medicine to provide the best care for animals.

In my free time, I enjoy spending time with family, playing golf, spoiling my pet rat, and performing lion dances with my troupe, Choy Wun, especially during Lunar New Year.
My journey in veterinary medicine began at age 5 when I received a kitten, only to lose her in a tragic accident. This inspired me to pursue a career in saving pets. I attended veterinary summer programs at Tuskegee University and Michigan State, earned my Biology degree from UMBC in 2003, and graduated from TUSVM in 2007.
I worked in Las Vegas for three years, gaining experience in routine care, emergency medicine, surgery, and dentistry. My interest in holistic medicine grew after learning about Osteopathy, which led to various trainings, though I could only apply them in limited ways in general practice.
For the past 10 years, I’ve balanced raising two kids with working in general practice, honing my skills in internal medicine, surgery, and dentistry. Four years ago, I began pursuing my goal of becoming an acupuncturist. I’ve since obtained Level II Reiki attunement and completed advanced training in Food Therapy, Acupuncture, and Herbal Medicine at Chi University. I’m now a Certified Veterinary Acupuncturist, with plans to further my certifications in holistic therapies.
In my spare time, I enjoy playing board games with my kids, watching soccer, listening to podcasts, and bingewatching shows with my husband.






Many patients who have been successful in their weight loss journey, once the weight is gone, are disappointed to find that their upper arms do not look the way they expected. Weight loss is a major contributing factor to sagging excess skin on your upper arm. When you gain weight, the skin stretches to accommodate more fat. Unfortunately, skin doesn’t contract as easily as it expands. Loose
skin and remaining pockets of fat on the upper arm are very common after weight loss.
An Arm lift or Upper Arm Liposuction are both surgical procedures that can improve the appearance of your upper arms; however, they have different focuses and approaches.
An arm lift, or brachioplasty, will tighten, lift, and smooth the skin and tis-
sues of your arm for a more sleek and sculpted shape. The focus is on removing the excess sagging skin and attached fat to improve both the upper arm size and contour. An arm lift has a longer incision extending from the underarm to the elbow.
Arm Liposuction is a minimally invasive procedure for removing pockets of fat from the upper arm. It requires few,
smaller incisions and doesn’t tighten the skin.
In many cases, both procedures are performed together for the best results. An arm lift can be helpful for people who have lost a significant amount of weight and whose skin can’t contract over their smaller arms. Arm liposuction effectively removes fat deposits that don’t respond to diet and exercise.
















By Quansheng Lu, CMD, PhD, LAc Wholelife Chinese Medicine & Acupuncture Center
Chinese acupuncture has a rich history spanning over 3,000 years, forming an integral part of traditional

Chinese medicine (TCM). Acupuncture entails the delicate insertion of fine needles into specific points on the skin, aiming to induce therapeutic benefits.
The Mechanism Behind Acupuncture
Within the framework of Chinese medicine, acupuncture is rooted in the belief that it acts by clearing the
Quansheng Lu, CMD, PhD, L.Ac www.wholelifeherb.com • luquansheng@gmail.com 301-340-1066 • fax: 301-340-1090
Guest professor, Henan University of Traditional Chinese Medicine (TCM) Chief TCM Physician, WFCMS; M.S. in TCM, Beijing University of TCM PhD in integrated medicine, China Academy of Chinese Medical Sciences Fellowship, Georgetown University & Children’s National Medical Center 3 patents, 8 books of TCM, 30 papers, 30+ years of experience in TCM
Low back pain • eczema • arthritis • allergies • cough • insomnia • paralysis obesity • nephritis • hepatitis • infertility • PMS • side effects of cancer treatment 416 Hungerford Drive, #300 Rockville, MD 20850 5022 Dorsey Hall Drive, #101 Ellicott City, MD 21042
blockages in the flow of energy along pathways known as “meridians.” The underlying theory suggests that when these energy channels are obstructed, discomfort ensues.
Understanding Neck Pain Origins
The primary causes of neck pain often stem from extended periods of maintaining a fixed posture, leading to increased neck tension. Injuries can also trigger neck pain. Among adults, cervical spinal stenosis, which involves the narrowing of the spinal canal in the neck, is a prevalent factor. In the context of Chinese medicine, it is believed that external factors like wind, cold, injuries, or excessive physical activities can disrupt the flow of qi and blood in the neck, ultimately resulting in neck pain.
Common symptoms associated with neck pain include the presence of knots, stiffness, or sharp pain in the neck region. This discomfort may radiate to the shoulders, upper back, or arms. In some cases, individuals might
also experience headaches, difficulty in head and neck movement, as well as sensations of numbness, tingling, or weakness in the arms.
Acupuncture For Neck Pain Management
Acupuncture serves as a widely recognized approach for addressing neck pain and various musculoskeletal issues, with some compelling evidence to support its efficacy in both short-term and long-term pain relief. An Australian randomized controlled trial sought to compare the effectiveness of acupuncture with simulated acupuncture in individuals dealing with sub-acute and chronic whiplashrelated disorders. The study involved a series of 12 acupuncture sessions over a six-week period, with follow-up assessments at three and six months. The results revealed that those who received genuine electro-acupuncture treatment experienced significantly greater reductions in pain intensity at three and six months, as compared to the sham electro-acupuncture group
Please see “Neck Pain,” page 38

Proud to be in network with PPO plans: Delta Dental, MetLife, United Concordia, United Healthcare, Aetna, GEHA, CIGNA, Anthem, BlueCross BlueShield, United Healthcare, Guardian, Principal Ameritas, DentaQuest, Dominion Dental, Connection Dental, Himan, Assurant/Dental Health Alliances, Smiles for Children. Dr. Afreen Sayeed Services provided include: Implants, Implant Crowns, Invisalign, CEREC, Crowns, Root Canals, Cosmetic Dentistry, iTero Digital Scanner, Tooth-Colored Fillings and Extractions. Schedule an appointment for you and your family today!
Same Day Appointments Emergencies Welcome All Digital Technology
Convenient Hours: Open Evenings and Weekends
Comfortale, Relaxing Atmosphere
General and Cometic Dentistry
Nitrous Oxide Sedation
All Major PPO Insurance Plans Accepted Financing Available
Always Accepting New Patients Schedule on ZocDoc

DENTISTRY
11213-A Lee Highway, Fairfax, VA Located mext to Walmart in the Fairfax Center Plaza 703-591-4111 SamfarFamilyDentistry.com
By Karl A. Smith, DDS, MS
While we know eating right and tossing out the cigarettes are all part of our typical New Year’s resolution to lead a healthier lifestyle, many of us are not aware of the overall health benefits of taking good care of our teeth and gums.
Tooth decay, plaque and periodontal (gum) disease is a health problem that doesn’t normally get a lot of New Year’s resolution attention. In fact, many adults with gum disease are not aware of the diagnosis, symptoms or its lasting effects. Medical evidence concludes that poor oral health, gum disease, cavities, plaque buildup, etc., can contribute to other problems in the body.
Periodontal disease is an inflammatory disease that affects the soft and hard structures that support your teeth. In its early stage, called gingivitis:
• gums become swollen and red due to inflammation
• teeth and gums often bleed while brushing
In the more serious form of periodontal disease — called periodontitis:
• gums pull away from the tooth as infection settles in
• supporting gum tissues are destroyed
• supportive jaw bone can be lost
• your teeth will loosen and eventually fall out
Periodontists are dentists who specialize in the treatment and prevention of periodontal (gum) disease. They are experts in the treatment of oral inflammation, plaque and bacteria as they receive extensive training in these areas during their three additional years of education beyond dental school. Periodontists are familiar with the latest techniques for diagnosing and treating periodontal disease.
Make it your New Year’s resolution to take better care of your mouth and teeth.
Brush twice daily: Your mouth is the front line for battling the bacteria.
Floss daily: Your toothbrush can’t reach between your teeth. Daily flossing cleans the spaces between teeth.
Have at least two dental cleanings a year: Your dental hygienist supplements your daily brushing and flossing.
Get a regular annual dental checkup: Preventative dentistry is better for your health.
Visit a periodontist for gum evaluation: All adult patients should
have a full periodontal exam with charting accomplished once a year. This provides you and your Dentist with a baseline measurement to record the pocket depth (space between your teeth and gums), the presence of gum disease, gum recession, bleeding, tooth mobility and plaque buildup.
Eat, drink and be wary: The enemy of oral health is the group of natural bacteria that thrive on sugar and dissolve the protective enamel covering the teeth.

Consider a new and stronger smile: Getting dental implants and crowns for missing or broken teeth isn’t a luxury; these problems may leave you with shifting teeth and a vulnerability to gum disease. Improving your dental health and preventing tooth decay can have a large health impact than just a healthy mouth and brighter teeth. Take control of your dental health and make an appointment with an experienced periodontist today.

–
–


Our patients mean the world to us (and they love to refer to us as friends and family). My team works together to ensure your visit is enjoyable, and that your treatment is gentle and pain-free. We are deeply committed to help you prevent and treat periodontal (gum) disease, and to enhance your smile to improve your overall health.




By Janet V. Johnson, MD Loving Care Pediatrics
We all make resolutions at the beginning of the New Year; however it may be difficult to stick to our plans if we don’t have constant support. That’s why making resolutions we can stick to as a family is such an important part of creating lasting changes. We can support each other while everyone works toward becoming a happier, healthier, more united family unit.
Eat a Healthy Breakfast
It should be everyone’s goal to eat a healthy meal every morning. Whether you drink a fresh fruit smoothie or sit down with a bowl of
oatmeal, make sure that every member of the family eats something sustaining before leaving the house.
Eating before you leave eliminates the temptation to stop at a fast food restaurant or grab a doughnut and coffee before work. Resolve to keep healthy foods and fruit stocked in the kitchen and readily accessible for the mornings to help the family stick to this goal.
Wash Your Hands
Making a point to wash your hands before eating is a great way to get rid of germs, prevent some diseases and cut down on the number of illnesses each member of your family has to endure each year. There are germs on almost every surface your body comes into contact with and making a concerted, long-term effort to wash your hands helps to keep the germs out of the house.
Avoid Destructive Habits
Develop healthy routines that can help you lead a healthy life. Avoid unhealthy habits such as alcohol abuse, smoking and drug abuse. Poor eating and exercise habits may lead to heart disease, cancer, and


where individual diversity is valued and recognized, also where the satisfaction of all patients regardless of their background is the fundamental goal of our every action, with the practice of medicine being recognized and honored as a uniquely noble pursuit.

unhealthy weight gain or vitamin or mineral deficiencies.
Regular exercise can help prevent some diseases, increase your energy level, aid in managing stress and help you reach and maintain a healthy weight. Balanced exercise is important – do aerobic exercise to benefit your cardiovascular system, strength training to improve muscle tone and stretching to enhance flexibility. Get at least 30 minutes of moderate physical activity five days a week or 20 minutes of vigorous activity three days a week.
Spending time with your kids seems like a great excuse for skip-
Herein lies the problem. Where are such patients to turn to for help? Fertility clinics can subsidize some of this treatment, unfortunately there are limiting factors such as payments for independent anesthesia services, payments for medications (which price continues to rise by the day), and payment for FDA required donor screening if those patients choose to freeze their eggs or sperm not knowing
(Spine, April 2011).
Incorporating Traditional Chinese Medicine
Traditional Chinese medicine encompasses a diverse array of practices, including Chinese herbal medicine and acupuncture/moxibustion, among others. The use of Chinese medicine therapies, such as herbal remedies and acupuncture, for managing neck pain, has not only been widespread but also highly effective, extending its reach not just within China but also across Europe.
J r elieF
screen, helps avoid putting strain on your neck and jaw.
Avoiding hard or chewy foods, like gum or sticky candy, can further protect the joint from unnecessary pressure. And regular checkups with your dentist ensure that jaw health is monitored, catching any early signs of TMJ issues before they progress. These small lifestyle adjustments support a healthy, pain-free jaw.
Living with TMJ pain doesn’t have to be a permanent condition.
ping a workout, but you can have quality time and workout at the same time. Playing basketball with your kids, going on a family hike, or racing around a track are all great ways to get in your exercise while bonding as a family and enjoying nature.
We all have unique talents and abilities, interest and values. Encourage your children as well as yourselves to find purpose for your life in sharing your unique gifts with others. The things that give you joy or help you feel vital can increase your sense of purpose and ultimately will result in a satisfying relationship and interaction for everyone.
From page 21
if they will need a surrogate in the future. It is almost like a double penalty imposed by the current regulations to have the additional cost of the FDA screening that is uncompensated and unfunded.
I ask therefore where should such patients turn to if traditional charitable fertility organizations will not even cover them?
Previously published on Medium.com
From page 36
While acupuncture is generally acknowledged as a safe therapeutic method, potential side effects may include dizziness, localized internal bleeding, dermatitis, nerve damage, or occasionally heightened pain—especially when administered by less experienced practitioners. Therefore, the role of a well-trained and seasoned acupuncturist is paramount in ensuring both safety and effectiveness.
From page 22
With the right treatment approach and preventive care, you can achieve significant relief and regain your comfort. At our office, we specialize in personalized TMJ treatments designed to target your unique needs, from lifestyle adjustments and custom dental devices to therapeutic exercises. Schedule an appointment with us to take the first step toward managing your TMJ symptoms and improving your quality of life. Together, we’ll work on a plan to help you feel your best and get back to living pain-free.



Choose Adventist Medical Group Primary Care in Fort Washington, Maryland, to provide a full range of primary care services for adults.
Learn to better manage your health and prevent illnesses with personalized care from our experienced, primary care providers. Our specialists in family medicine and internal medicine work as a team to deliver expert care when you need:
• Same-day Sick Visits
• Women’s and Men’s Health and Wellness Exams
• Health Physicals, Health Maintenance and Preventive Care
• Geriatric (Senior) Wellness Exams
• Vaccinations and Immunizations, including Flu Shots
• Health Management for:
• Asthma and Allergies
• High Blood Pressure
• High Cholesterol
• Diabetes
• Heart Disease
You also benefit from coordinated care that helps you effectively handle all aspects of your health—from preventive medicine and preoperative appointments to management of chronic health conditions.
To schedule an appointment, please call 240-724-6018
10709 Indian Head Highway, Suite D1 Fort Washington, Maryland 20744 AdventistMedicalGroup.org
ACUPUNCTURE
Eastern Medical Holistic Healing Center, Angel Wood, 240-7555925. www.acupuncture4wellness.webs.com
ALTERNATIVE HEALTHCARE
Holistic Family Health - Thermal Imaging, Herndon, VA. 703-6356324 For More information visit www.fhtid.com
BEAUTY/SKIN
Essences of Jamal of DC – 202839-0657. Worlds Best SheaButter, Rose-Water Butter, Hemp Seed Oil, Nag Champa Incense, Sage Smudge Sticks, Jumbo Incense Sticks, Tea-Tree Oil. Price List Available. 202-839-0657 – JamalofDC@gmail.com.
BREAST HEALTH
University of Maryland Charles Regional Medical Center. 11340 Pembrooke Square, Suite 202, Waldorf, MD 20603. 240-6072010. UMCharlesRegional.org
CHINESE MEDICINE & ACUPUNCTURE
Wholelife Chinese Medicine & Acupuncture, 301-526-9898, 416 Hungerford Dr., Rockville www. wholelifeherb.com
DENTISTRY
Karl A Smith, DDS, 2550 N. Van Dorn St., Suite #128, Alexandria, VA. Call 703-894-4867, Visit www.drkarlsmith.com
Richard Hughes, DDS, 703444-1152, 46440 Benedict Drive Suite #201, Sterling, VA. www. SterlingImplantDentist.com
EYE CARE
Visual Eyes, Alexander Nnabue OD, 301-324- 9500.
HOLISTIC WELLNESS COACH
Nutrition Lifestyle Digestion and More – Lisa@LisaThorne.Me –Text 269-861-7565.
HYPNOSIS
Toni’s Happy Hour Yoga and Holistic Wellness Center • 6504 Old Branch Avenue, Temple Hills, MD 20748 • 301-449-8664.
MEDICAL SPACE
Charles L. Feitel Company, 301571-9333, www.medicalanddentalspace.com.
MENTAL HEALTH SERVICES
House Calls, LLC. 301-3466732. callingonbeth@gmail.com. www.CallingOnBeth.net.
NUTRITION
Good Health Nutrition Services,LLC – 1300 Mercantile Lane, Suite 129-37, Largo, MD 20774 – 301-341-4680 – www. ghnutritionservices.com – We accept Insurance.
NewView Laser Eye Center – Jacqueline D. Griffiths, MD – Reston (703) 834-9777 – Visit us at www.NewViewEye.com.
ORAL & FACIAL SURGERY
Northern Virginia Surgical Arts – 703-998-3971 – 611 South Carlin Springs Road, Suite #308, Arlington, VA 22204 For more info visit us online at www.NOVASurgicalArts.com.
ORTHODONTICS
All Smiles Orthodontics – 9010 Lorton Station Blvd., Suite #260, Lorton, VA 22079 – www. AllSmilesBraces.com – For info call us at 703 337-4414.
Jacqueline Brown Bryant DDS, MS, PC, Damon, Clear Braces & Invisalign for Adults And Children. Silver Spring, Maryland 20910 www.smileconstructors.com 301587-8750
PAIN MANAGEMENT
Georgetown Pain Management – Netsere Tesfayohannes, MD, ABA, ABAP – 301-718-1082 –8120 Woodmont Ave., Ste 560, Bethesda, MD – 7300 Hanover Dr., Ste 204, Greenbelt, MD.
PEDIATRICS
Loving Care, Janet Johnson, MD – Hyattsville, MD – 301403-8808.
To Order: Include you NAME, ADDRESS, PHONE, EMAIL AND WHAT HEADING YOU WISH TO BE LISTED UNDER, AND ANY SPECIAL OFFER OR TEXT TO INCLUDE. We will prepare a proof and email to you for approval.
Email your information to: info@yourhealthmagazine.net or Fax to: (301) 805-6808. Call (301) 805-6805 for assistance.
MARYLAND/WASHINGTON, DC OFFICE
4201 Northview Drive, Suite #102, Bowie, MD 20716
phone: (301) 805-6805 • fax: (301) 805-6808 • email: Info@YourHealthMagazine.net VIRGINIA OFFICE phone: (703) 288-3130 • fax: (703) 288-3174 • email: Publish@YourHealthMagazine.net

Active Physical Therapy. Various Locations across Maryland and Washington, DC. Activephysicaltherapy.com.
Arlington Podiatry Center, Edward S. Pozarny, DPM 703820-1472. 611 S. Carlin Springs Road, Suite #512, Arlington VA. Largo Foot and Ankle Health Center, Ade Adetunji, DPM, 301-386-5453.
Chevy Chase Home Care. Help at a time you need it most. Any Ages. Any situations. Any shifts. MD, DC, VA. www.CHCHhomecare.com 202-374-1240.
Jamal-Emanuel Graham, a former alumni of both McKinley Tech High and Eastern High Schools in Washington, DC creates new website on 1960s soul music New Jersey legend Linda Jones, “TheLindaJonesStory.com/WashingtonDC”. Her big hit song “Hypnotize” 202-839-0657
YOGA
Toni’s Happy Hour Yoga and Holistic Wellness Center – 6504 Old Branch Avenue, Temple Hills, MD 20748 – 301-4498664.










latest issues delivered directly to your home!
• Health articles and advice
• Doctors near YOU!
• Maryland, Washington, DC & Virginia editions
• Only $24 for a year’s subscription (12 issues)! SUBSCRIBING IS
1) Call 301-805-6805 with your name, contact info, and credit card payment for $24, or 2) Simply mail this form along with your check for $24: Your Health Magazine 4201 Northview Dr. Suite 102 Bowie, MD • 20716












