Washington DC September 2024

Page 1


Greene,
Mary B. Alexander, DDS, DMSC General Dentistry
Sivakumar Sreenivasan, DMD Oral and Maxillofacial Surgeon
Jeffrey L. Brown, DDS TMJ & Sleep Apnea
Shaun Alex, DDS Cosmetic Dentistry
Elizabeth “Andie” Shin, DDS Pediatric Dentistry
Lois S. Wilson, DDS General Dentistry
Craig A. Smith, DDS General Dentistry
Ekaterina Tomenko, DDS Dentistry
Stephen A. Price, DDS Cosmetic Dentistry

COSMETIC SURGERY

• Breast Augmentation

• Abdominoplasty (Tummy Tuck)

• Liposuction

• Hair Transplants

• Mommy Makeover

• Facial Surgery

NON-INVASIVE TREATMENTS

• Botox®, Dysport® , Xeomin®*

• BellaFill®

• Juvederm*

• Restylane®*

• TempSure Envi

• Endermologie

• Zerona

• Lipolight

LASER TREATMENT

• Hair Removal

• Vein Treatment

• Laser Resurfacing

WELLNESS SERVICES

• Bioidentical Hormones (BHRT)

• ED Treatment for Men

4407 Willard Avenue Chevy Chase, MD 20815 (Across from the Friendship Heights Metro)

• Medical Weight Loss NON-INVASIVE BODY CONTOURING

Zerona® - The first non-invasive body contouring procedure to effectively remove excess fat. AND

Edermologie Lipo Massage Cellulite Treatment Combined Package of 6 Each - $499.00

In the United States this year, 700,000 people and one out of every four post-menopausal women will suffer from a painful bone injury called a vertebral compression fracture. This common type of bone injury results in the collapse of a vertebra, a type of bone that makes up the spine. Although there is a safe, effective, and minimally invasive therapy available, two-thirds of these fractures fail to be diagnosed. This is unfortunate, as missing this condition can result in under-treated pain, limitations on daily activities, breathing problems, and dependence on dangerous pain medications.

Bone density in both women and men starts to decrease after age forty, but the loss of density greatly accel erates after women enter menopause and can progress to osteoporosis, a disease characterized by very low bone density. Although most compres sion fractures occur in patients with osteoporosis, one-third of vertebral compression fractures occur in pa tients without osteoporosis.

If a fracture occurs suddenly, patients can experience sudden severe back pain that often wraps around the sides and is felt in the chest. Because of this, it is sometimes confused with diseases of the heart or the lungs. The pain is often worse when standing, sitting-up, or walking around. If very severe, the patient can have trouble breathing.

Kyphoplasty Treatment For Spinal Compression Fractures

kyphoplasty that can quickly, safely, and effectively treat a patient’s pain without the long-term use of opioids and other pain medications.

If an acute compression fracture is present on an MRI, a patient should be referred to a pain management physician or another physician who performs kyphoplasty. This procedure can often be performed in a doctor’s office, preventing the need for an overnight stay in a hospital. On the day of the procedure, the patient is given a medicine to relax and then is asked to lie on their belly. An x-ray machine

is then used to locate the fractured bone and a narrow tube is placed into it through a very small opening in the skin. A small balloon is inflated within the bone to create a small space and the fracture is then filled with bone cement. The entire procedure can take as little as 45 minutes. Many patients feel immediate pain relief and are able to return to their daily lives the day after the procedure. However, some patients may take a week or longer to feel better.

Kyphoplasty most successfully reduces a patient’s pain within two

Patients who have symptoms of a fracture should see their doctor for evaluation. After an examination that suggests a vertebral compression fracture, they will often be sent for an MRI. This imaging shows the level of the fracture and also reveals whether it is old or new. Some doctors treat compression fractures with pain medicine, physical therapy, and bracing. However, many cases continue to cause severe pain and long-lasting health effects unless treated more definitively. Unfortunately, many patients and physicians are not aware that there is a minimally invasive procedure called

weeks following a fracture. Unfortunately, if the window of opportunity is passed, the pain can become more challenging to treat and further complications can occur.

If you think you or someone you care about is experiencing symptoms of a vertebral compression fracture, be reassured that there are safe, effective, and minimally invasive therapies available. Schedule an initial pain evaluation at Georgetown Pain Management to determine if you’re eligible for kyphoplasty or other pain therapies. Most insurances are accepted and new patient evaluations are currently being scheduled. As awareness of this condition increases and more patients are offered kyphoplasty as a minimally-invasive therapy, it is hopeful that fewer patients will have to live with the severe pain that results from vertebral compression fractures and can return to their full lives more quickly and comfortably than before.

Do Something About Your PAIN

Netsere Tesfayohannes, MD, ABA, ABAP Medical Director

In This Edition…

Your Health Magazine is on a mission. There are far too many people, insured or not, who do not go to the doctor when they should, and in millions of cases, don’t know who they should go to, or why.

People are encouraged to buy a new house, car, cell phone or big screen TV, and those companies make themselves very visible and their products easily attainable.

Information about, and from, local healthcare providers is not easy to find, and many times those services are difficult to access.

Information and encouragement always lowers fear and trepidation about anything, and this is especially true in healthcare. While general information is available on web-sites, specific information from local providers is almost impossible for people to find. This is one of the key reasons chronic and episodic conditions are not cared for. It is our mission to:

Make A Difference By Empowering and Encouraging People To Live Healthier By Going To the Doctor When They Should.

There is a lot of evidence that the health professionals who participate in Your Health Magazine have helped many people over the years. We at Your Health Magazine salute you!

G. Scott Hunter, Editor-in-Chief

If you would like to find out how you can participate in one of our upcoming editions, please contact the office nearest you.

MARYLAND & WASHINGTON, DC OFFICE One Town Center 4201 Northview Drive, Suite 102 Bowie, MD 20716 Office (301) 805-6805 • Fax (301) 805-6808 info@yourhealthmagazine.net

VIRGINIA OFFICE Office (301) 805-6805 info@yourhealthmagazine.net

© Your Health Magazine, 2024. The magazine and all of its contents are protected by copyright. For permission to reproduce any materials in this magazine, contact info@yourhealthmagazine.net

EDITOR-IN-CHIEF

A New Dawn For Diabetic Neuropathy

Find Relief and Reclaim Your Life With Georgetown Pain Management

Are you tired of living with the constant pain of diabetic neuropathy? Do you long for a breakthrough that can help you manage your symptoms without relying on medications and their unwanted side-effects? We have exciting news for you! Georgetown Pain Management, with offices in Greenbelt, MD, and Washington, DC, is offering a revolutionary and minimally invasive treatment called spinal cord stimulation that brings newfound hope to patients like you. This innovative option can provide relief from the agony of diabetic neuropathy, allowing you to regain control over your life. Read on to learn how this groundbreaking treatment could be the key to your pain-free future!

Say Goodbye to Medications and Their Side-Effects

For years, traditional treatments for diabetic neuropathy have relied heavily on medications. While these drugs may temporarily mask the pain, they often come with many side-effects, including drowsiness, dizziness, and even memory loss. It’s time to break free from the shackles of medication and embrace a more effec tive and sustainable approach.

Welcome Minimally Invasive Spinal Cord Stimulation

Georgetown Pain Management is proud to offer minimally invasive spi nal cord stimulation, a breakthrough treatment for diabetic neuropathy. This cutting-edge therapy involves the use of a small device, similar to a pacemaker, that is implanted near your spine. Through minimally invasive techniques, the device emits gentle electrical pulses, which interrupt the pain signals traveling from your nerves to your brain, effectively reducing or even eliminating the pain associated with diabetic neuropathy.

giving you the confidence to make an informed decision about whether minimally invasive spinal cord stimulation is right for you.

Reclaim Your Life, One Step At a Time

Imagine waking up in the morning without that constant burning pain. Imagine being able to walk, exercise, and enjoy life’s simple pleasures without being hindered by neuropathy. With minimally invasive spinal cord stimulation from Georgetown Pain Management, these dreams can become your reality. By minimizing or eliminating your pain, this treatment enables you to take back control of your life, empowering you to engage in activities you once thought were impossible.

Why Choose Georgetown Pain Management?

Georgetown Pain Management is a trusted name in comprehensive pain management. With our commitment to patient care and our expertise in minimally invasive spinal cord stimulation, we have helped many individuals find relief from diabetic neuropathy.

Our team of highly skilled specialists will evaluate your condi tion thoroughly and design a personalized treatment plan tailored to your specific needs. With our state-of-theart technology and compassionate ap proach, we are dedi cated to helping you find relief and enhance your quality of life.

Take the First Step Towards Pain-Free Living

Don’t let diabetic neuropathy dictate your life any longer.

Assistant

Alexander Kiefer, MD, D.ABA

Associate Medical Director

Assistant Professor of Clinical Anesthesiology, Georgetown University School of Medicine

Take charge of your health and embark on a journey towards a pain-free future with Georgetown Pain Management. Make an appointment at our Greenbelt, MD, or Washington, DC offices today to be evaluated for new treatment options, including the groundbreaking minimally invasive spinal cord stimulation. We are

Experience Relief Temporarily, Commitment-Free

One of the most exciting aspects of minimally invasive spinal cord stimulation is that it can be tried temporarily before making a longterm commitment. Our skilled and compassionate team at Georgetown Pain Management will work closely with you to customize a trial period, during which the device is used on a temporary basis. This allows you to experience the benefits firsthand,

here to support you every step of the way, providing the care and expertise you deserve. Treatment is covered by most insurance companies. Call 202935-6980 for a free insurance verification. Schedule an evaluation today! The time for a life without the burden of painful diabetic neuropathy is now. Break free from your limitations.

Do Something About Your PAIN

Netsere Tesfayohannes, MD, ABA, ABAP Medical Director
Netsere Tesfayohannes, MD, D.ABA, D.ABAP Medical Director
Professor of Clinical Anesthesiology, Georgetown University School of Medicine

Are You Trying, and Failing, To Lose Weight?

Many people struggle with weight issues. But what is important to know is that it is not your fault, it is not a sign of moral failing or weakness. It is simply a matter of inherited biochemistry, lifestyle and living in the modern world where what is available to us when it comes to food is a novel experiment for humanity. An excellent resource that explains this is “Nature Wants you to be Fat” by Richard Johnson, MD that I encourage many of my patients to read, and be freed of blaming themselves for their predicament.

Per recently published data, the U.S. adult obesity rate stands at 42.4%, the first time the national rate has passed the 40% mark. The national adult obesity rate has increased by 26% since 2008.

In my view, for each person there is a safe way to lose weight and to keep it off. In order to do so there are a few issues that must be addressed

Are there underlying medical issues which make it difficult to lose weight? Examples: undiagnosed sleep apnea, hypothyroidism, anemia, and other nutritional deficiencies. Without a thorough evaluation to reveal these issues attempts to lose weight are almost guaranteed to fail. As well menopause and other hormonal issues in men and women can interfere with metabolism. Also many common medications such as antidepressants and proton pump inhibitors (acid reducers) can make it hard to lose weight.

Are you exercising? Typically, exercise is 20-30% of the equation when it comes to weight loss. Muscle burns calories much more than fat. For every extra pound of muscle you put on, your body uses around 50 extra calories a day. If you have lost muscle mass from not exercising or from medical reasons, it may take very few calories to maintain your body weight. This is why some people claim, truthfully, that they hardly eat, but can’t lose weight.

Once these issues are looked at, for the vast majority of people with weight issues, weight gain is a function of excess calories, simple carbohydrates and insulin resistance. Insulin is a hormone in our body that converts sugars into fat (triglycerides), and drives that fat into fat cells and blocks the exit of fat from fat cells. Countless patients with a lifetime of weight struggles, or new issues as they age, who get these issues addressed find that weight loss becomes much easier.

Distracted? Stressed? Overwhelmed? Burned out? Train your brain and get

Call To Schedule An Appointment!

Why train your brain?

Brain training allows your brain to see what it is doing and adjust and re-balance in response. Also known as neurofeedback, it is a non-invasive way to promote wellness and continued growth. We are certified providers of NeurOptimal® brain training. With more than 20 years and millions of hours of use worldwide, NeurOptimal® is a safe, time-tested, and effective brain training system. Call or Email Us Today!

Office sessions in Friendship Heights by appointment Visit www.BrainSpaNeurofeedack.com Call or Text: 202-480-0010 Email: BrainSpaMaryland@gmail.com

Scan

You probably know family and friends whose lives were cut short by heart disease or cancer. Then you ask yourself “Is there any way to keep that from happening to me?” The answer is “yes.” Today there is a simple non-invasive test that can often identify these illnesses in their earliest stages, when they can most effectively be treated and cured.

It’s called the Virtual Physical. The Virtual Physical takes less than twenty minutes and is a safe, painless, high-speed full Body, Heart and Colon scan. It has already saved many lives by uncovering many illnesses like cancer, heart disease, aneurysms, and tumors.

The Virtual Physical is a test that gives you the advantage in finding diseases and abnormalities at their early stages, long before symptoms occur.

Make the choice that could save your Life.

Colorectal cancer remains one of the most common cancers worldwide, but emerging research highlights that diet plays a crucial role in its prevention. By understanding which nutrients and dietary patterns are beneficial, individuals can take proactive steps to reduce their cancer risk and support overall health.

Fiber is a key component in colorectal cancer prevention. Dietary fiber, found in fruits, vegetables, whole grains, and legumes, promotes healthy digestion and regular bowel movements. High-fiber diets are associated with a lower risk of colorectal cancer as fiber helps dilute and eliminate potential carcinogens from the digestive tract. Additionally, fiber fermentation in the colon produces beneficial short-chain fatty acids, which may further protect against cancer.

Fruits and vegetables are rich in antioxidants and phytochemicals, which play a protective role against oxidative stress and inflammation—factors that contribute to cancer development. Cruciferous vegetables such as broccoli, Brussels sprouts, and cauliflower contain compounds like sulforaphane that have been shown to have anticancer properties. Similarly, tomatoes are a good source of lycopene, an antioxidant that may reduce cancer risk.

Whole grains are another important dietary component. Unlike refined grains, whole grains retain their bran, germ, and endosperm, providing more fiber and nutrients. Studies suggest that whole grains help lower the risk of colorectal cancer due to their fiber content and the presence of beneficial compounds such as phytates and lignans.

Lean proteins like poultry, fish, and plant-based proteins (e.g., beans, lentils) are preferable to red and processed meats. High consumption of red and processed meats has been linked to an increased risk of colorectal cancer, possibly due to the presence of carcinogenic compounds formed during cooking or processing. Choosing lean protein sources and moderating intake of red meat can contribute to a lower cancer risk.

Healthy fats, particularly those from sources like olive oil, nuts, and avocados, can support overall health and potentially reduce cancer risk. Omega-3

The Impact Of Nutrition On Colorectal Cancer Prevention Key Nutrients and Dietary Patterns That Can Reduce Cancer Risk

fatty acids, found in fatty fish like salmon, have anti-inflammatory properties that may be protective against cancer.

Calcium and vitamin D also play a role in colorectal cancer prevention. Calcium helps maintain healthy cell function, while vitamin D is thought to influence cell growth and apoptosis.

Including sources of calcium such as dairy products or fortified plant-based alternatives, along with ensuring adequate vitamin D levels through sunlight exposure or supplements, can contribute to reduced cancer risk.

Incorporating these dietary patterns into daily life, alongside regular physi-

cal activity and other healthy lifestyle choices, can significantly lower the risk of colorectal cancer. Focusing on a diet rich in fiber, fruits, vegetables, whole grains, lean proteins, and healthy fats, while moderating red and processed meat consumption, offers a proactive approach to cancer prevention.

Feel Confident Entrusting Your Health In

Our practice has been providing quality care to the Washington Metro community for over 25 years. Our physicians are board-certified in colon and rectal surgery and have specialty training in the diagnosis and treatment of colon and rectal diseases and disorders. Our mission is to provide you with exceptional service in a friendly and professional environment.

The connection between diabetes and gum disease is a significant concern for both patients and healthcare providers. These two conditions can impact each other in a cycle that can be challenging to manage, making awareness and proactive care essential.

Diabetes: A Risk Factor For Gum Disease

Gum disease, or periodontal disease, involves the inflammation and infection of the gums and surrounding tissues that support your teeth. This condition ranges from gingivitis (mild gum inflammation) to periodontitis (a severe form that can lead to tooth loss). People with diabetes, particularly when it’s poorly controlled, have a higher risk of developing gum disease. High blood sugar levels in diabetic patients provide an

Diabetes & Gum Disease A Critical Health Connection

environment where bacteria can flourish, leading to infections in the mouth. Additionally, diabetes slows down the healing process, making it harder for the body to recover from infections, including those affecting the gums.

Gum Disease’s Impact On Diabetes Management

Gum disease can make it more difficult for those with diabetes to control their blood sugar levels. The infection triggers an inflammatory response in the body, which can increase blood sugar levels and complicate diabetes management. This increased blood sugar creates a vicious cycle, where uncontrolled diabetes can lead to worsening gum disease and vice versa, increasing the risk of complications such as cardiovascular disease, kidney damage, and vision problems.

Prevention and Management Strategies

For individuals with diabetes, maintaining good oral hygiene is crucial to prevent gum disease. Regular dental check-ups and professional cleanings are essential in identifying

and treating gum disease early. Daily brushing and flossing help remove plaque, the sticky film of bacteria that can contribute to gum infections. Additionally, controlling blood sugar levels is vital for managing both diabetes and gum disease. Collaborating with healthcare providers to monitor and maintain blood sugar levels can significantly reduce the risk of developing gum disease. It’s equally important for patients with diabetes to inform their dentists about their condition to ensure they receive appropriate and comprehensive oral care.

The Importance Of Integrated Care

Understanding the intricate relationship between diabetes and gum disease highlights the need for an integrated approach to health management. By working closely with their healthcare teams and dentists, patients can develop effective strategies to manage both conditions. This holistic approach not only helps prevent complications but also promotes overall well-being.

Managing diabetes and gum disease requires a proactive and comprehensive approach. With the right care, individuals can mitigate the risks and enjoy a healthier life.

Maintaining good dental hygiene is crucial, and Dr. Marc Stanard, a periodontist and specialist in surgical implant dentistry, can help you achieve healthy teeth comfortably. We offer a wide range of specialized procedures and services to cater to your periodontal needs, such as bone surgery, scaling, and root planing, gum grafts, crown lengthenings, and sinus lifts.

Why you should choose Dr. Marc Stanard:

Marc P. Stanard, DDS

• We provide advanced, affordable dental care tailored to meet your unique needs.

• Our team offers oral hygiene instruction and education on gum disease, bone loss, and other dental health conditions.

• Dr. Marc Stanard has decades of experience and a passion for his work, and he’s earned numerous designations, affiliations, and awards, including Top DDS by Washingtonian and high ratings on Google and Yelp.

• Our office is friendly and welcoming, making it the perfect place to receive top-quality dental care.

The Importance Of Podiatric Health Understanding Vascular

Vascular and peripheral neuropathy are two interrelated conditions that can significantly impact podiatric health. While they affect different aspects of the feet, they often occur simultaneously and can lead to serious complications if left untreated. In this article, we will explore what vascular and peripheral neuropathy are, their causes, symptoms, and the importance of podiatric care in managing and preventing these conditions.

Understanding Vascular Neuropathy

Vascular neuropathy, also known as ischemic neuropathy, occurs when there is a compromised blood supply to the feet. This condition can be caused by atherosclerosis, which is the narrowing and hardening of arteries due to the buildup of fatty deposits. When blood flow to the feet is restricted, it can lead to tissue damage and a lack of oxygen, resulting in pain, ulcers, and slow wound healing.

Common Symptoms Of Vascular Neuropathy

• Pain or cramping in the legs and feet, particularly during physical activity.

• Cold or numb feet.

• Slow-healing wounds or ulcers.

• Changes in skin color, such as a bluish or pale tint.

Understanding Peripheral Neuropathy

Peripheral neuropathy is a condition that affects the nerves in the feet. It can be caused by various factors, including diabetes, alcohol abuse, certain medications, and infections. When the nerves are damaged, they can no longer transmit signals properly, leading to a range of sensory and motor issues.

Common Symptoms Of Peripheral Neuropathy

• Tingling or numbness in the feet.

• Burning or shooting pain.

• Weakness and muscle cramps.

• Loss of balance and coordination.

and Peripheral Neuropathy

• Changes in foot shape or deformities. The Importance Of Podiatric Care

• Early Detection: Regular podiatric check-ups are essential for detecting vascular and peripheral neuropathy in their early stages. Prompt diagnosis allows for timely intervention and prevents the progression of these conditions.

• Customized Treatment Plans: Podiatrists are experts in treating footrelated conditions. They can develop personalized treatment plans tailored to your specific needs, which may

include medication, physical therapy, or lifestyle changes.

• Wound Management: Individuals with neuropathy are at a higher risk of developing foot ulcers. Podiatrists play a crucial role in managing and preventing these ulcers, reducing the risk of infection and amputation.

• Education and Foot Care Guidance: Podiatrists can educate patients about proper foot care techniques, including regular inspections, hygiene, and footwear choices. This empowers patients to take an active role in maintaining their foot health.

• Collaboration with Other Spe-

cialists: In cases of severe vascular neuropathy, podiatrists work closely with vascular surgeons to ensure comprehensive care.

Vascular and peripheral neuropathy can have serious implications for podiatric health. Regular visits to a podiatrist are vital for early detection, management, and prevention of these conditions. By partnering with a podiatrist, individuals can take proactive steps to maintain healthy feet, reduce pain, and enhance their overall quality of life. Remember, caring for your feet today can prevent complications tomorrow.

We Provide Foot Care

Keep Your Eyes Young and Healthly

Preventive eye care is important to everyone because eye conditions and diseases that can destroy you and your family’s healthy vision can strike at any time in life, from newborn to old age. Read below for suggested guidelines on when you and your family should have your eyes checked. Infants and toddlers should be screened for common eye problems, such as strabismus (crossed eyes) and Amblyopia (lazy eye) during their regular pediatric appointments. Vision testing is recommended for all children starting at around three years of age.

Most children and teenagers have healthy eyes, but they still need to take care of their vision by wearing protective eyewear when playing sports, doing yard work, working with chemicals, or taking part in other activities that could cause an eye injury.

Even young adults and middleaged individuals can be affected by eye problems, so preventive measures should be taken to detect eye diseases early and to protect eye from injury. These individuals should have a complete eye exam at least once between the ages of 20 and 29, at least twice between the ages of 30 and 39 and every two to four years between the ages of 40 and 65.

Seniors over age 65 should have a complete eye exam by their Eye M.D. every one to two years for cataracts, glaucoma, age-related macular degeneration, diabetic retinopathy, and other eye conditions.

The suggested examination guidelines are:

• Ages zero to two: screening during regular pediatric appointments

• Ages three to five: screening every one to two years during regular primary care appointments

• Ages six to 19: schedule examinations as needed

• Ages 20 to 29: one examination

• Ages 30 to 39: two examinations

• Ages 40 to 65: examination every

two to four years

• Ages 65 and over: examination every one to two years

But check with your Eye M.D. to see how often you should have a complete eye exam if any of the following risk factors affect your eyes:

• History of eye injury

• Diabetes

• Family history of eye problems

• African American over age 40

Protecting your eyes from accidents, early detection, and treatment of eye problems are the best ways to keep your healthy vision throughout life. If you and your family are at risk for eye disease or experience any eye problems, visit your Eye M.D. promptly.

Find out what it takes to preserve your vision and prevent common eye problems. How many of these questions about vision can you answer correctly?

1. Which of the following habits can weaken your eyes?

a. Watching television sitting too close to the screen

b. Smoking

c. Reading in dim light

d. Not wearing prescription lenses if you need them

2. Which vitamin(s) should you take to protect your eyes if they’re sensitive to light?

a. B1

b. B2

c. B12

d. All of the above

3. Eating which of the following foods helps prevent and alleviate conjunctivitis?

a. Apples

b. Broccoli

c. Eggs

d. Yogurt

4. Menopause can cause dry eyes.

a. True

b. False

5. Eating which food prevents macular degeneration?

a. Eggs

b. Bran

c. Mushrooms

d. Spinach

6. Which of the following minerals should you take to relieve an eyelid twitch?

a. Copper

b. Iron

c. Magnesium

d. Zinc

7. When is it most important to wear sunglasses?

a. During the summer

b. From 8 a.m. to 10 a.m.

c. From 10 a.m. to 2 p.m.

d. During the winter

8. Which of the following drugs makes your eyes more sensitive to sunlight?

a. Antibiotics

b. Aspirin

c. Oral contraceptives

d. All of above

9. Taking high doses of zinc can cause macular degeneration.

a. True

b. False

10. A poorly functioning liver can cause glaucoma.

a. True

b. False

Answers on Page 42

Fast Fact #1:

Your eyes use more oxygen than any other tissue in your body.

Fast Fact #2:

Make Healthy Choices. More than 13 million Americans have age-related macular degeneration, a leading cause of blindness. Age, smoking, high blood pressure, and exposure to sunlight increase your risk of developing this disease.

Fast Fact #3:

Rest your eyes. Computer vision syndrome symptoms include sore eyes, blurred vision, and headaches. To avoid this syndrome, reduce screen glare and take a five-minute computer break every 20 minutes.

Consumer’s Research

Jacqueline D. Griffiths M.D. earned her undergraduate degree at Yale and her medical degree from the University of Michigan. Her Ophthalmology residency was completed at Georgetown University Medical Center.

Dr. Griffiths has been in private practice since 1994. She started her own practice and laser center, NewView Laser EyeTM in 1999 where she serves as the Medical Director. NewView’s Mission is to provide Excellence in Ophthalmologic services by giving personalized attention to every patient.

Dr. Griffiths is Board Certified and began performing laser vision correction practically from its inception in this country. She has performed thousands of cases and participated with the CRS-USA LASIK trials to get the LASIK procedure approved by the FDA.

In addition to offering CustomVue LASIK and EpiLase, NewView offers CKSM, no-stitch cataract surgery, annual eye exams, contact lenses, glaucoma and diabetic screening exams, and cosmetic services including Botox, Restylane, Radiesse, Juvederm, and eyelid surgery. NewView Optical offers affordable high quality frames and lenses for the entire family (ages 5 and older).

Dr. Griffiths is the former Ophthalmology Section Chief of Reston Hospital Department of Surgery, the former Chief of Ophthalmology for the Reston Ambulatory Surgical Center in Reston, VA as well as Loudoun Hospital in Leesburg, VA, Diplomate of the American Board of Ophthalmology, a Fellow of the American Academy of Ophthalmology, a member of the American Society of Cataract and Refractive Surgery, the Washington National Eye Center and others.

It’s My Birthday!

What does your birthday mean to you? Birthdays are our solar return around the sun.

Our body is our vehicle that takes us from one year to the next, no matter how old or young we are. Our body is considered a complicated machine, consisting of flesh, bones, glands, organs, and many systems, including blood circulation, the respiratory system, and the brain. Our body has a complex nervous system. All these systems are woven together to create our physical body. The body processes ongoing tasks to keep its functions operating. Our body needs regular tuning

through exercise and a proper diet to maintain high capacity and potential, ensuring homeostasis for living and endurance for longevity.

Our vehicle, our body, consists of all the necessary requirements to live a healthy, happy, and well-balanced life.

To keep our bodies functioning as they should, they need regular maintenance, such as exercise and proper nutrition. An unhappy body is one that has been misused and not considered for longevity.

With proper care, our systems will provide us with a healthy body and mind. Nutritious foods, vitamins, minerals, and exercise help maintain the balance of the physical body.

Our bodies, which are our vehicles, need to be consciously attuned to ensure longevity. Proper nutrients and a proper diet help the body get the nutrients it needs.

Whether you are a vegetarian, pescatarian, fruitarian, or a meat-eater, the key is balance to maintain your health. Knowing what is best for your body is crucial, regardless of your diet. Maintenance, moderation, and consciousness

Please see “Birthday,” page 38

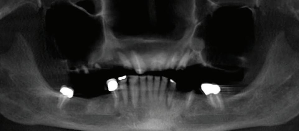
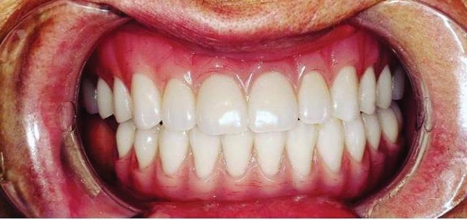
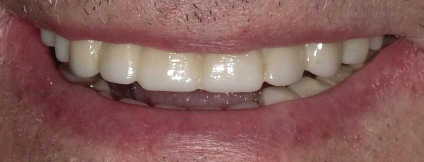
Can just four implants replace all of the teeth on the top or the bottom of your mouth? Thanks to advances in dental implant technology, that answer is a resounding yes.

Believe it or not, tooth loss is extremely common among adults, especially as we age. In fact, more than 35 million people in America are missing

all of their upper and/or lower teeth. Rather than living with the discomfort and hassles of dentures, many people are opting for what is called “all-onfour” dental implant restoration.

All-On-Four: One Full Arch Of Teeth, Four Dental Implants

To fully understand this remarkable technique for replacing teeth, you should first understand what a dental implant is. An implant is a small titanium screw that fits inside your jawbone and replaces the root-part of a missing tooth. Minor surgery is required to insert the implants. Once the implant is in place, a crown is attached to give you a highly realistic-looking and functional prosthetic tooth. Here’s where it gets really interesting: You do not need a dental implant for each and every one of your missing teeth. All you need is four

Please see “All-On-Four,” page 38

Toni Greene, Owner Happy Hour Yoga on Zoom!

Reduce Signs of Aging and Treat Sagging Skin!

A neck lift can be performed for men and women of varying ages who are often frustrated by changes of the appearance of their neck and jawline. Depending on your age, a neck lift can be a short one-hour procedure to remove fat or a 3-hour procedure to remove fat, visible neck bands, and excess skin.

Neck Lift Surgery Can:

Remove Excess Skin (Cervicoplasty) • Liposuction to Remove Excess Fat

Remove or Alter Neck Muscles (Platysmaplasty)

Liposuction can be performed alone or with surgical removal of the fat under the chin through a small incision under the chin.

In patients with vertical bands in the neck, a platysmaplasty can be performed to reduce the appearance of the bands.

Sometimes a chin implant is recommended to improve the overall contour and help with excess skin.

Why Dry Eye Is a Disease Not Just a Nuisance

More than 40 million Americans suffer from a disease called dry eye syndrome. Computer use, CPAP machines, certain medications, diabetes, auto-immune disease, and just age can put you at risk for dry eye disease.

People with dry eyes frequently experience burning and stinging of their eyes, their eyes often feel sticky, and their eyes are often red. Some people with dry eyes also have periods when their eyes

get so watery that tears spill over their eyelids and run down their cheeks.

Your eyes normally make small amounts of tears all day. Tears play several important roles in keeping your eyes healthy and vision clear. Tears lubricate the eyes surface, wash away debris, provide a smooth surface to help keep your vision clear, and also contain natural antibiotics that keep your eyes safe from germs that might cause infections. Tears coat the eye in a smooth film made up of three separate layers. The layer of tears closest to the front surface of the eye is called the mucin layer. Its job is to smooth out the uneven spots on the eye surface. Next, a layer of aqueous tears covers the mucin layer. The aqueous layer is watery, and makes up the majority of the tear film. Its job is to lubricate the eye and keep it moist. The final layer of the tear film is an oily layer called the lipid layer. This is the outermost layer, and its job is to cover the aqueous layer and prevent it from evaporating.

Please see “Dry Eye,” page 38

Top 10 Things To Know About The Female Egg Freezing Process In Maryland

Egg freezing, or oocyte cryopreservation, is becoming an increasingly popular option for women who wish to preserve their fertility for the future. If you’re considering egg freezing in Maryland, here are the top 10 things you should know:

1. Understanding the Process

Egg freezing involves stimulating

the ovaries to produce multiple eggs, retrieving these eggs, and then freezing them for future use. The process typically takes about 2–3 weeks from the start of ovarian stimulation to egg retrieval.

2. Choosing the Right Clinic

Maryland offers a variety of fertility clinics with experienced professionals. Research and choose a clinic with a high success rate, positive reviews, and a comfortable environment.

3. Consultation and Initial Assessment

The first step is a consultation with a fertility specialist. During this visit, you will undergo an initial assessment, including blood tests and an ultrasound, to evaluate your ovarian reserve and overall reproductive health.

4. Ovarian Stimulation

You will self-administer hormone injections for about 10–14 days to stimu-

Please see “Egg Freezing,” page 38

Where Science Meets Compassion

Our mission is to assist our patients in creating the families of their dreams, whether it be at the present or to maintain the possibility in the future.

Medical Director Dr. Famuyiwa, a double board certified fertility specialist and an advocate for personalized holistic fertility care, is at the forefront of providing state-of-the-art care based on emerging and advanced new technologies in the most compassionate of manners.

ADVENTIST MEDICAL GROUP PRIMARY CARE SERVICES FOR YOU

Choose Adventist Medical Group Primary Care in Fort Washington, Maryland, to provide a full range of primary care services for adults.

Learn to better manage your health and prevent illnesses with personalized care from our experienced, primary care providers. Our specialists in family medicine and internal medicine work as a team to deliver expert care when you need:

• Same-day Sick Visits

• Women’s and Men’s Health and Wellness Exams

• Health Physicals, Health Maintenance and Preventive Care

• Geriatric (Senior) Wellness Exams

• Vaccinations and Immunizations, including Flu Shots

• Health Management for:

• Asthma and Allergies

• High Blood Pressure

• High Cholesterol

• Diabetes

• Heart Disease

You also benefit from coordinated care that helps you effectively handle all aspects of your health—from preventive medicine and preoperative appointments to management of chronic health conditions.

To schedule an appointment, please call 240-724-6018

10709 Indian Head Highway, Suite D1 Fort Washington, Maryland 20744 AdventistMedicalGroup.org

Ogechi Anyaoku, MD, MSPH (Internal Medicine)
Nicole Haskins, CRNP, RN (Family Nurse Practitioner)

Dr. Wolcott received his DDS degree from the University of Maryland School of Dentistry & keeps up-to-date on the latest dental trends through continued education. He has over 25 years of experience in the placement & restoration of broken, damaged & missing teeth.

Dr. Poupard, who is fluent in French, received dual DDSs from Paris Descartes University & University of Maryland School of Dentistry, where she also completed a one–year residency in General Dentistry. Dr. Poupard actively embraces new & improving technology & advances in dentistry through continuing education.

Dr. Centty, who is fluent in Spanish, received dual DDSs from Cayetano Heredia University & University of Maryland School of Dentistry, where she also

Dr. Centty remains abreast of the

Why Choose A Facial Plastic Surgeo n?

Why Choose A Facial Plastic Surgeo n?

Why Choose A Facial Plastic Surgeo n?

When you look in the mirror, what you see often affects how you feel. Signs of premature aging, a scar from an accident or a birth defect can cause unhappiness for some. A facial plastic surgeon can, in many cases, make you feel more comfortable and confident about your appearance. It’s all about choosing the one that’s right for you.

When you look in the mirror, what you see often affects how you feel. Signs of premature aging, a scar from an accident or a birth defect can cause unhappiness for some. A facial plastic surgeon can, in many cases, make you feel more comfortable and confident about your appearance. It’s all about choosing the one that’s right for you.

When you look in the mirror, what you see often affects how you feel. Signs of premature aging, a scar from an accident or a birth defect can cause unhappiness for some. A facial plastic surgeon can, in many cases, make you feel more comfortable and confident about your appearance. It’s all about choosing the one that’s right for you.

Dr. Taylor is an expert who is trained to perform cosmetic and reconstructive surgery and procedures on the face, head and neck. He has had six years of surgical training specializing in the face, head and neck, a fellowship in Facial Plastic and Reconstructive Surgery and 30 years of experience. Establishing a relationship, defining expectations ahead of time with his patients along with Dr. Taylor’s skill and experience are all-important factors that ensure successful results and satisfied patients.

Dr. Taylor is an expert who is trained to perform cosmetic and reconstructive surgery and procedures on the face, head and neck. He has had six years of surgical training specializing in the face, head and neck, a fellowship in Facial Plastic and Reconstructive Surgery and 21 years of experience. Establishing a relationship, defining expectations ahead of time with his patients along with Dr. Taylor’s skill and experience are all-important factors that ensure successful results and satisfied patients.

When you look in the mirror, what you see often affects how you feel. Signs of premature aging, a scar from an accident or a birth defect can cause unhappiness for some. A facial plastic surgeon can, in many cases, make you feel more comfortable and confident about your appearance. It’s all about choosing the one that’s right for you.

Dr. Taylor is an expert who is trained to perform cosmetic and reconstructive surgery and procedures on the face, head and neck. He has had six years of surgical training specializing in the face, head and neck, a fellowship in Facial Plastic and Reconstructive Surgery and 21 years of experience. Establishing a relationship, defining expectations ahead of time with his patients along with Dr. Taylor’s skill and experience are all-important factors that ensure successful results and satisfied patients.

ng with Care & Compassion for Optimal Results

Healing, Enhancing, Advancing with Care & Compassion for Optimal Results

Nonsurgical Services

Dr. Taylor is an expert who is trained to perform cosmetic and reconstructive surgery and procedures on the face, head and neck. He has had six years of surgical training specializing in the face, head and neck, a fellowship in Facial Plastic and Reconstructive Surgery and 21 years of experience. Establishing a relationship, defining expectations ahead of time with his patients along with Dr. Taylor’s skill and experience are all-important factors that ensure successful results and satisfied patients.

Reconstructive Surgical Procedures

Cosmetic Surgical Procedures

Rhinoplasty (Nose Reshaping)

Blepharoplasty (Eyelid lift)

Facelift

Facial implants: Chin/Cheek

Browlift

Facial implants: Chin/Cheek

Nonsurgical Services

Obagi Skin Care System

Facial Fillers: Restylane/Perlane

Split Earlobe Repair

Reconstructive Surgical Procedures

Management & Excision of keloids

Obagi Skin Care System

Microdermabrasion

Cosmetic Surgical Procedures

Facial Fillers: Restylane/Perlane

Botox/Dysport

Rhinoplasty (Nose Reshaping)

Otoplasty (for protruding ears)

Blepharoplasty (Eyelid lift)

Facelift

Otoplasty (for protruding ears)

Healing, Enhancing, Advancing with Care & Compassion for Optimal Results

Nonsurgical Services

Microdermabrasion

Xeomin

Botox/Dysport

Radiesse/Restylane

Obagi Skin Care System

Facial Fillers: Restylane/Perlane

Split Earlobe Repair

Skin Cancer removal and reconstruction

Management & Excision of keloids

Reconstructive Surgical Procedures

Skin Cancer removal and reconstruction

Split Earlobe Repair

Management & Excision of keloids

Browlift

Facial implants: Chin/Cheek

Otoplasty (for protruding ears)

Xeomin

Radiesse/Restylane

Microdermabrasion

Botox/Dysport

Xeomin

301.897.LVLV (5858)

Radiesse/Restylane

Skin Cancer removal and reconstruction

The Champlain Building 6410 Rockledge Drive, Bethesda, MD www.levisageface.com

301.897.LVLV (5858) The Champlain Building 6410 Rockledge Drive, Bethesda, MD www.levisageface.com

301.897.LVLV (5858)

301.897.LVLV (5858) 10215 Fernwood Road, Suite #401, Bethesda, MD 20817 www.LevisageFace.com

The Champlain Building 6410 Rockledge Drive, Bethesda, MD www.levisageface.com

Featured Health Professionals

Local Professionals Empowering and Encouraging People To Live Healthier

Jeffrey L. Brown, DDS

TMJ & Sleep Apnea Treatment

Meet Jeffrey L. Brown

Dr. Brown’s practice focuses on TMJ, sleep apnea and orthodontics. This allows Dr. Brown and his team to provide individualized, focused care for patients dealing with these specific issues. Every day, his practice helps patients of all ages with facial development, sleep issues, chronic headaches, migraines, neck pain, movement disorders, and much more. His training also includes multiple disciplines involving the cranial bones in the skull, and the discs in the jaw joints. Through treatment, Dr. Brown is able to reduce these symptoms, align cranial bones, avoid extractions, and greatly reduce the need for traditional braces. His expertise allows him to identify issues early on which promotes proper facial development using dental appliances. If there is an internal imbalance, whether an adult or child, the body does not develop or function properly. When the cranial bones are lined up correctly, patients are able to function, sleep and generally live better.

With that in mind, the team at Sleep & TMJ Therapy takes a whole-body approach when treatment planning. They work hand in hand with physical therapists and osteopathic doctors for a better success rate. Dr. Brown is devoted to helping patients of all ages live a symptom free life.

Degrees & Certifications

Dr. Brown earned his degree from Georgetown Dental School and completed residencies with Emory University Hospital for Dental Sleep Medicine and the ALF Appliance Therapy Institute.

Outside the Office

When not seeing patients, Dr. Brown is a sought-after speaker. He has lectured all over the world, including D.C., Dubai, Seoul, London, Norway and Toronto. He has also been featured on Channel 9’s Good Morning Washington, several podcasts, and numerous magazines and journals.

Professional Affiliations

Dr. Brown is a diplomate of the American Academy of Craniofacial Pain, a member of the American Academy of Dental Sleep Medicine, American Academy of Gnathological Orthopedic, Academy of Integrative Pain Management American Dental Association, a Fellow of the American Academy of Craniofacial Pain, and Legacy Provider for the ALF Interface Academy.

Do you have TMD or Sleep Apnea?

TMD Symptoms: Noise in the jaw joints when opening and closing your mouth, difficulty chewing, limited opening, tender facial muscles, ear ringing, uncomfortable bite, jaw locking, headaches, migraines, dizziness, vision issues as well as pain in the jaw area which can radiate to the ears, head, neck, shoulders, and back.

Sleep Apnea Symptoms: Snoring, waking up gasping for air, feeling tired and irritable in the morning, difficulty controlling weight, concentration problems, morning headaches, episodes of not breathing, waking with a sore throat, forgetfulness and mood changes. If you believe you may be suffering from TMD or Sleep Apnea, don't wait... Call today to schedule a consultation with Dr. Brown: 703-821-1103.

Sivakumar Sreenivasan, DMD DENTAL IMPLANT CENTER OF ROCKVILLE

Oral and Maxillofacial Surgeon

Diplomate, American Board of Oral & Maxillofacial Surgery

DMD, MDS • OMFS, MD, PA

77 South Washington Street Suite #205, Rockville, MD

301-294-8700

www.OMFSMD.com

Meet Dr. Sreenivasan:

Dr. Sreeni came to the United States as an Oral and Maxillofacial Surgeon in the year 1990 and put himself through dental school again at Boston University and Oral and Maxillofacial Surgery residency at University of Medicine and Dentistry of New Jersey.

As an Oral and Maxillofacial Surgeon, Dr. Sreeni manages a wide variety of problems relating to the Mouth, Teeth and Facial Regions. He practices a full scope of Oral and Maxillofacial Surgery with expertise ranging from Corrective Jaw Surgery to Wisdom Teeth Removal. His passion is in implant surgery and he is well known for same day placement of implants following teeth removal be it for single teeth or a complete “makeover” (Smile in a day). He can also diagnose and treat Facial Pain, Facial Injuries and TMJ disorders and perform Bone Grafting and Sinus lift procedures.

Dr. Sreeni completed a residency in Anesthesiology at Mount Sinai Hospital, New York in 1994 and has worked as an Attending providing anesthesia services for children and adults in the ambulatory out-patient center of the hospital.

Dr. Sreeni is an Advanced Cardiac Life Support instructor with the Adventist group. He is also certified in Pediatric advanced life support and is very capable of handling emergencies that could possibly arise in the office. Dr. Sreeni’s staff are trained in assisting with IV Sedation/General Anesthesia within our state of the art office setting. Patients are continuously monitored during and after surgery. The goal of our office is to provide professional service with compassion and an understanding of the patients’ perspective.

Featured

Mary B. Alexander, DDS, DMSC

Under One Roof

Meet Mary B. Alexander

Dr. Mary Alexander, periodontist, obtained a Bachelor of Science degree in Biology from the University of South Carolina and continued her education in dentistry at the University of Maryland School of Dental Surgery where she received her DDS degree. Prior to and during her dental studies, Dr. Alexander received funding and support from the National Institutes of Dental Research for her involvement in the periodontal research. After obtaining her DDS degree Dr. Alexander spent one year at the Veteran’s Administration Hospital, in general practice residency focusing her training in the area of anxiety patient management. She then attended Harvard University and earned her clinical specialty in periodontics and a doctorate in medical science. Her doctoral research was focused in the study of bone function and metabolic disease of the bone.

Dr. Alexander received extensive training in dental implantology, periodontal plastic surgery, bone regenerative procedures and sedation dentistry. All aspects of Dr. Alexander’s training are incorporated in her periodontal practice assuring patient’s thorough and comprehensive periodontal treatment.

Shaun Alex, DDS

Meet Shaun Alex

Shaun Alex, DDS, is an experienced dentist who practices at the welcoming office of District Cosmetic Dental in Washington, DC. He specializes in general and cosmetic dentistry, perfecting the smiles of patients from a variety of communities around the nation’s capital. Fluent in three languages — English, Spanish, and Malayalam — he’s able to cater to patients from diverse cultural backgrounds with ease.

Dr. Alex earned his dental degree from Howard University in 2008 and completed his Residency at the University of Illinois in Chicago. Dr. Alex manages and treats a host of dental conditions, including bleeding gums, mouth sores, and gingivitis. He also performs routine and complex dental procedures, such as root canals, implants, and gum surgeries.

Dr. Alex focuses on all aspects of a patient’s experience, and he makes his patients equal partners in their care. Patients appreciate his compassionate care and personalized attention. He is driven to pursue excellence in the field of dentistry, and nothing brings a smile to his face quite like improving a patient’s smile.

Featured Health Professionals

Best Dental Products For Children By Age Group – Pros and Cons

Early dental care and regular checkups are crucial for maintaining your child’s oral health. Starting good habits early not only helps prevent cavities but also sets the foundation for a lifetime of healthy smiles.

Choosing the right dental products is crucial for each stage of a child’s development. Here’s a breakdown of the most popular and useful dental products for children, divided by age group, along with their pros and cons. Infants (0-1 Year)

Product: Silicone Finger Toothbrush

• Pros: Gentle on gums, easy for parents to use, helps introduce the concept of tooth brushing.

• Cons: Limited cleaning efficacy, hygiene concerns if not properly cleaned and stored.

Product: Soft Infant Toothbrush

• Pros: Designed with small heads to fit in infant mouths, very soft bristles suitable for tender gums.

• Cons: Requires careful handling to avoid poking the infant’s gums, regular replacement needed as bristles can degrade.

Toddlers (1-3 Years)

Product: Toddler-Specific Toothbrushes

• Pros: Colorful designs to make brushing fun, easy-grip handles to encourage independent brushing.

• Cons: May chew on bristles, supervision required to ensure proper brushing technique.

Product: Training Toothpaste (Fluoride-Free)

• Pros: Safe if swallowed, comes in appealing flavors.

• Cons: Does not provide the decaypreventing benefits of fluoride, transitioning to fluoride toothpaste needs monitoring.

Preschoolers (3-5 Years)

Product: Fluoride Toothpaste

• Pros: Helps prevent cavities, avail-

able in child-friendly flavors.

• Cons: Requires supervision to use only a pea-sized amount and to ensure it’s not swallowed.

Product: Electric Toothbrush

• Pros: Can make brushing more effective and exciting for kids, often comes with timers to ensure adequate brushing time.

• Cons: More expensive than manual brushes, can be too vigorous for some children’s gums.

Product: Kids’ Whole Mouth Toothbrush

When selecting the best dental products for younger children, the Kids’ Whole Mouth Toothbrush emerges as a particularly suitable option for those under 5 years old. Here’s a revised evaluation of its benefits and limitations:

Pros:

• Ease of Use: This toothbrush is designed to be simple for small hands to hold and use, which is crucial for toddlers who are just beginning to learn the basics of oral hygiene.

• Engaging Designs: Often adorned with bright colors and beloved characters, these toothbrushes can make the brushing experience more fun and engaging for young children, encouraging them to participate in daily dental care routines.

Cons:

• Limited Effectiveness in Reaching All Areas: Although intended to provide a comprehensive clean, this toothbrush may not effectively reach tighter spaces between teeth or along the gum line, which could leave some areas less well cleaned.

• Not Suitable as Children Develop: As children grow and their manual dexterity improves, the limitations of the Kids’ Whole Mouth Toothbrush become more apparent. Older children, who are capable of more precise brushing, might find this toothbrush inadequate for their needs as it doesn’t allow for targeted cleaning.

To continue reading this article, please visit: https://yhm.news/BCCPD

Meet Elizabeth “Andie” Shin

Dr. Shin is the founder and president of BCC Pediatric Dentistry. She is a Board-Certified Pediatric Dentist with more than 20 years of practice experience. Among other awards and recognitions, Dr. Shin has been selected by her peers as a Washingtonian Top Pediatric Dentist and a Bethesda Magazine Top Pediatric Dentist. Dr. Shin’s experience spans a diverse range of locations, settings, and organizations. She was Associate Professor of Pediatric Dentistry for the Advanced Post-Graduate Pediatric Dentistry Residency at the University of Southern California (USC). Dr. Shin practiced pediatric dentistry at a Native American Reservation in Montana. After 911, she joined the Army and served as an active-duty military officer and pediatric dentist at Walter Reed Army Medical Center, in Washington DC. Dr. Shin was also the first Korean-American female to hold the position as the division head of the Pediatric Dentistry and Orthodontic Dental Clinic at the Children’s Hospital of Los Angeles. These and other positions throughout the years have provided Dr. Shin with invaluable pediatric dentistry experience and unique expertise. Most of all she loves children, likes to make them laugh, and is constantly trying to learn more about them and their accomplishments. That includes her patients and her son, daughter, grandkids, and your child too!

In

Featured Health Professionals

Local Professionals Empowering and Encouraging People To Live Healthier

Lois S. Wilson, DDS

Meet Lois S. Wilson

Skill and compassion go hand in hand when providing exceptional patient care. As a dental professional, Dr. Wilson stays up to date on the latest advancements in dentistry in order to provide the most current treatment options for her patients. As a doctor, she recognizes that her patients are unique individuals who have placed a great deal of trust in her and her team. That is just one reason why she values each and every patient relationship.

Dr. Wilson has an enduring passion for the practice of dentistry! She is committed to educating her patients on their unique oral health concerns and creating a comprehensive dental care plan that works for them. Dr. Wilson takes time to listen to each patient’s concerns, forging a real partnership with the goal of good oral health. She loves helping patients with dental fears become dental fans.

She appreciates the time you’ve taken to find out more about her dental practice, and the many services she and her team provide to help you achieve optimum oral health: Preventative Care • Exams and Cleanings • Fluoride Treatment • Oral Cancer Exam • Porcelain Veneers • Porcelain Crowns • Dental Implants • Cosmetic Dentistry • Invisalign • Periodontal Disease Treatment • Tooth Extractions

Meet Stephen A. Price

Dr. Stephen Price has been a dedicated practitioner at Dental Associates for nearly five decades, relishing the diverse challenges of general practice, including dental implants and cosmetic dentistry. He is an esteemed member of the American Dental Association, the Northern Virginia Dental Society, and the Virginia Dental Society.

A native of New Jersey, Dr. Price attended the University of Connecticut on a football scholarship. He earned his Doctorate of Dental Surgery from Georgetown University School of Dentistry in 1973, subsequently serving as a crown and bridge instructor there for 17 years.

Dr. Price is an Elite Invisalign® provider and a Certified Invisalign® instructor. In 2017, he was honored as the best treatment winner at the Invisalign® Summit in Maryland, recognized by thousands of his peers who gathered to learn about the latest technologies in Invisalign treatment.

Combining his passion for dentistry and football, Dr. Price has also contributed to his community by coaching the football team at Westfield High School.

If you are unhappy with your smile and are interested in the finest cosmetic dentistry available, let Cosmetic Dental Associates of Burke show you what our office can do to make you feel better about yourself and put a smile on your face every day.

Featured

Craig A. Smith, DDS

Meet Craig A. Smith

Dr. Craig Smith is committed to health through dentistry, ensuring you have optimal oral health which contributes to your overall health and well-being.

Quality service, advanced technology and a passionate commitment to education means patients receive the best that dentistry has to offer.

Dr. Smith’s Philosophy: Always listen to the patient and in turn respond in an educational manner so that the patient will understand.

Degrees, Training, and Certificates: Doctor of Dental Surgery (D.D.S.) - Howard University College of Dentistry; 2 Year General Practice Residency; Chief Resident - Harlem Hospital Center (Affiliate of Columbia University); Certified Invisalign Provider

Professional Memberships: National Dental Association

Areas of Interest: All phases of dentistry - cosmetic, implant, crowns and bridges, root canals, veneers, preventive care, Invisalign and whitening.

Hobbies: Mountain biking, racquetball, golfing, and boating. My interests are to continue to deliver quality dentistry and to further reach out to the community to help to increase the peace.

Additional: Many patients do not understand the importance of a healthy mouth, as health problems could arise. I want to educate all of my patients on health through dentistry.

Advanced Sleep Treatment

Get The Uninterrupted Sleep You Deserve!

Dentists are often the first line of defense against sleep apnea and snoring. Dr. Tomenko works closely with physicians to screen and treat different types of Obstructive Sleep Apnea.

Common Symptoms Of Sleep Apnea Include:

• Daytime drowsiness

• Restless sleep or insomnia

• Morning headaches

• Difficulty concentrating

• Poor memory

• Loud snoring

• Nighttime choking or gasping

• Irritability or moodiness

• Dry mouth or sore throat upon waking

• Frequent trips to the bathroom

• Impotence

While many people will visit ENT specialists for treatment, dentists are one of the first lines of defense against sleep apnea for screening and, when appropriate, treatment. People are likely to visit their dentist at a regular six-month appointment before a physical exam with their physician. Dr. Tomenko works closely with physicians to treat different types of Obstructive Sleep Apnea.

Dr. Tomenko and her team can guide patients through the process, from diagnosis to treatment. Most people don’t realize that CPAP is NOT the only treatment option for Sleep Apnea.

Sleep apnea is a common condition that affects around 18 million Americans.

Featured Health Professionals

Local Professionals Empowering and Encouraging People To Live Healthier

Toni Greene, Owner

HAPPY HOUR YOGA ON

Your Space, Your Energy, Your Sacredness Yoga on

Meet Toni Nandini Greene

Mission: To help people to be comfortable in their own skin, to love themselves, like themselves and be themselves and most of all accept and forgive themselves. “I’m here for you”.

Specialized Degrees: Hypnotherapy, G.I.A. of America Gem (stone specialist), Advanced Yoga Training in Rishikesh India, continuing yearly training of Yoga and Ayurveda in Rishikesh India. Certified Astrologer – Charts interpreted for as little as $49. The Big 3: Sun, Moon, Rising Ascendant.

Associations: Nath - (National Association of Transpersonal Hypnotherapists), NGH - (National Guild of Consulting Hypnotist), Y.A. (Yoga Alliance)

Areas of Interest: Hypnosis for Everything, (Fears, Phobias, Nail biting and more), Ayurveda Yoga, Yoga for Couples, Yoga for Diabetes, Yoga Teachers Training, and Life Coaching. Hypnosis is a very useful tool to use in alleviating or diminishing pain in the body by at least 50% to not having pain at all. Hypnosis is a process whereby you are lead into a deep state of relaxation. In this state of deep relaxation you become aware of the pain. In hypnosis you are put in a hypnotic trance. In this trance it is suggested that you become aware of your breathing; breathing is emphasized to help regulate your sympathetic nervous system.

The sympathetic nervous system is the system in the body that serves to accelerate the heart rate, constrict blood vessels and raise blood pressure. It also becomes out of balance because of our unawareness of our thoughts, and actions. Pain and disease in the body has a lot to do with the imbalances in the body due to our diet and lifestyle. Mental or physical stress and an unhealthy diet, including refined sugars, fried food and over indulgence in food and drink, can cause pain in the body as well. This is a major cause of inflammation in the body that causes pain.

Acidic foods, and left over or stale foods, build up toxins in the body and can cause pain and inflammation in the joints that cause joint pain such as arthritis, burning sensation, swollen ankles, knees, and legs. Hypnosis will help you through the hypnotic suggestion so that you are mindful of the foods you eat and the thoughts we think. Stress in the body and mind is intimately related with causing pain in the body.

We use hypnosis in controlling the thoughts to manage or alleviate the pain in the body. With positive suggestions to you in a hypnotic state (trance), you will be reminded to be mindful of the new suggested way of eating with awareness, and you will realize as a result of awareness the lack of pain in the body. Hypnosis is a useful, natural tool that can be used to manage pain, stop over eating, smoking, phobias and more. Hypnosis is used to ease the pain of surgery or excessive pills taken for pain management.

When the conscious part of the brain is temporarily relaxed the person focuses on relaxing and letting go of distracting thoughts, thereby allowing the mind to slow down the pulse and respiration. When the pulse and respiration is slowed, the heart rate and respiration is then slowed causing relief in the body and mind and the pain is released or just simply gone.

When using hypnosis for pain management there may need to be a series of sessions. There are different levels of pain, and discomfort we carry in the body and mind. The sessions can vary depending on the severity of the discomfort in the body and mind.

Hypnosis is a pain-free technique used in healing the body and mind. Hypnosis only requires your participation and willingness and it will happen, the pain will be gone from the body, or three degrees milder, or more. Give it a try.

Benjamin Atanga, CEO

Meet Benjamin Atanga

Benjamin Atanga, a visionary entrepreneur, coach, and educator, has forged a remarkable path in the realms of holistic wellness and stretch therapy. With over 19 years of entrepreneurial experience, Atanga’s journey is a testament to his unwavering commitment to promoting fitness, health, and wellness.

A graduate of Bowie State University with a degree in Behavioral Science, Atanga’s athletic background as a former NCAA-CIAA football player laid the foundation for his passion for physical fitness. Following his collegiate career, he delved into the realm of personal training, eventually transitioning into rehabilitative training and holistic stretch therapy.

In 2016, Atanga co-founded StretchWorkz™, a pioneering project aimed at revolutionizing the approach to stretch massage therapy. Under his leadership, StretchWorkz™ expanded to five locations across the DC Metro Area, offering partner-assisted stretching that combines the benefits of yoga, physical therapy, and massage.

In 2020, Atanga further solidified his legacy with the establishment of The Stretch Loft, a black-owned holistic wellness center dedicated to releasing stored tension, trauma, and stress through stretch therapy. Rooted in integrity, respect, and community, The Stretch Loft provides an uplifting and empowering experience, fostering physical and mental well-being. The Stretch Loft’s services help to:

• Reduce anxiety and trauma from the body

• Release tension and stress

• Increase flexibility and range of motion

• Sleep better and increase blood flow

• Leave you feeling balanced, centered and rejuvenated

Driven by a deep-seated belief in the transformative power of holistic healing, Atanga has also founded The Stretch Loft Academy, where he mentors and certifies aspiring practitioners in the art of stretch therapy. His mission to uplift and heal extends beyond business, as Atanga remains dedicated to humanitarian efforts and fostering connections within his community.

As a father, son, and avid traveler, Atanga’s journey is a testament to the boundless possibilities that arise from a steadfast dedication to one’s passion and purpose. With his visionary leadership and commitment to holistic wellness, Benjamin Atanga continues to inspire and empower individuals worldwide on their path to optimal health and vitality.

Local Professionals Empowering and Encouraging People To Live Healthier

Degrees, Training and Certificates:

Professional

Areas of Interest: All

Practice Philosophy: Envision Eye and Laser is

Featured Health Professionals

Swathi M. Reddy, DMD

Meet Dr. Reddy, Your Local Orthodontist!

Dr. Reddy has been serving the Lorton area for over 12 years as a fulltime orthodontist. She graduated Dental School with high honors from Boston University School of Dental Medicine. She has a deep desire to learn and treat patients in the field of Orthodontics and has pursued further specialty training in the field of Orthodontics and Dentofacial Orthopedics.

Dr. Reddy was invited to join the clinic faculty at UNLV, School of Dental Medicine. Before entering private practice, Dr. Reddy worked as a faculty member at UNLV, School of Dental Medicine, Orthodontics Residency Program

Professional Memberships

Dr. Reddy is an active member of many organizations, including American Dental Association, Virginia Dental Association, American Association of Orthodontics, Southern Association of Orthodontics and Northern Virginia Orthodontic Study Club.

Why Choose Us?

Our practice’s top priority is to provide you with the highest quality orthodontic care in a friendly, comfortable environment.

We offer the latest in equipment and technology such as 3D Scanner and dentures, digital X-rays, clear aligners, braces and retainer program. These are to ensure that you receive the most effective care possible.

We recognize that every patient has different needs, and we pride ourselves in the courteous service we deliver to each person who walks through our doors. We welcome children and adults to our office. Adults have become a larger percentage of our patient-pool in recent years.

Dr. Reddy and her staff are committed to helping you achieve the smile you deserve – a healthy, beautiful one that you will be proud of. We would welcome the opportunity to earn your trust and deliver you the best service in the industry.

Michael Rogers, DDS

Meet Michael Rogers

Michael Rogers, DDS, is pleased to be able to offer beautiful smiles to his neighbors in Arlington and the surrounding communities. Dr. Rogers earned his dental degree from UCLA after graduating cum laude from Harvard University. Prior to entering private practice, he served a general practice residency at Sepulveda Veteran’s Hospital. Dr. Rogers has invested significant time into ongoing education, seeking to learn emerging dental technologies and techniques in the areas of cosmetic dentistry, implant dentistry, sleep apnea treatment, orthodontics, temporomandibular joint (TMJ) disorders, and safe amalgam replacement. His most recent training in airway management has allowed him to offer a cure for sleep apnea using an intraoral device known as the DNA appliance. He is a member of the International Academy of Oral Medicine and Toxicology, American Academy of Dental Sleep Medicine, American Academy of Craniofacial Pain, and also of Mercury-Free Dentists. He has served as a guest author for TMJ News & Views, and when that publication ceased, began his own quarterly newsletter. You may have seen one of his television interviews on “A New Me” or the local PBS station, or seen his articles and features in Ladies’ Home Journal, Arlington Magazine, and New Beauty

Dr. Rogers is an active participant in the community as a sponsor for Encore Theater, Little League of Alexandria, Abingdon Elementary, and the local Fairlington Farmer’s Market. He and his wife Terri enjoy spending time with their daughter Megan and her husband Corey traveling around the country and the Caribbean.

Featured

Padmaja Yalamanchili, DDS

General & Cosmetic Dentistry

Meet Padmaja Yalamanchili

For over 18 years, Padmaja Yalamanchili, DDS, has been serving patients throughout Northern Virginia with her extensive dental expertise, personalized one-on-one care and state-of-the-art dental technology. She and the entire team at her practice Dr. Padmaja Yalamanchili, DDS, PC in Fairfax, VA are committed to helping patients achieve their healthiest, most beautiful smiles. She is wellreputed in the area, and she emphasizes on preventive dentistry.

Dr. Yalamanchili graduated with her Doctor of Dental Surgery degree from the New York University College of Dentistry in Kips Bay, Manhattan. This prestigious New York City institution is the third oldest dental college in the country and is a global leader in toptier dental care and innovation.

After earning her degree, Dr. Yalamanchili committed herself to serving patients throughout Northern Virginia with her clinical expertise and personalized care. She offers each patient her extensive knowledge and takes the time to customize a care plan to their specific oral health needs and smile goals. She serves patients of all ages through this tailored one-on-one approach. In fact, the rapport she builds with each patient leaves many fondly referring to her as “Dr. Y.”

Dr. Yalamanchili is a member of the American Dental Association, Virginia Dental Association, and Northern Virginia Dental Society. Dr. Yalamanchili is fluent in English, Hindi, and Telugu. When she’s not serving patients, you can find her spending time with her husband and two children, cooking, reading, watching a Bollywood movie, or practicing Bikram yoga.

Tammy Wright, Instructor

The Greatest Wealth is HEALTH!

Tammy Wright is the proud co-founder and co-owner of ABC Fitness Connection located in Waldorf, Maryland. It is co-founded and co-owned by both her and her husband, John Wright.

They are a powerful couple with the passion for improving the fitness of wholesome families. Their goal is to connect clients to the reality that wellness is a lifechanging value proposition.

The VALUE they convey is that there are three pillars in life: health, wealth, and time with the understanding that you can have time and wealth, but without health it is all meaningless. ABC Fitness Connections offers personal training, nutritional guidance, fitness boot camps, group exercise classes, and moral support to achieve your wellness goals!

Tammy completed her undergraduate degree in Business Management at Virginia State University in May 1996. Thereafter, she completed two (2) Master of Science degrees. She is now a retired officer with over 21 years of faithful service in the Army National Guard. At present, Tammy is a Zumba instructor and loves to ROCK the stage every chance she gets. Also, she has an AFAA Certification in Youth Exercise Specialist (YES).

When asked about why she started the business with her husband, the immediate response has always been, “This is our PASSION!” Additionally, contact them if you’d like for them to educate students, teachers, and the community about the dangers of tobacco use and vaping of nicotine through the use of e-cigarette devices (ESD - electronic smoking device) through a presentation. The presentation includes a mini-fitness boot camp with a discussion on good nutrition and the dangers of smoking cigarettes and/or vaping e-cigarettes on your health.

Power Women Initiative (PWI) Workshops 2024 – August 15 · 5:30 - 7pm EDT

Charles County Public Library - Potomac Branch 3225 Ruth B Swann Drive, Indian Head, MD 20640

Krystle Dean-Duru, DDS

Ashburn Children’s Dentistry

About Krystle Dean-Duru

Family dentistry has been a way of life for me, and the passion for caring for children is in my genes. My mother, Dr. Lynda Dean-Duru, also a pediatric dentist, was my first inspiration towards family dentistry. Having started my journey in family care working as a pediatric dental assistant at Ashburn Children’s Dentistry, I spent many summers as my mother’s mentee. Watching what seemed like magical healing art she deployed while treating her patients and knowing the need and the power of proactive preventive dental health for children, I chose a career specializing in pediatric dentistry.

It is an honor to join my mother in practice at Ashburn Children’s Dentistry where I get to fulfill my commitment to helping each child and parent have a positive and transformative dental experience, with compassion and fun! Having matured as an integrative laser pediatric dental surgeon and absorbing the ethos of Ashburn Children’s Dentistry, I work tirelessly to stay abreast of emerging research, and improve the quality of life for children by learning from the world’s leading researchers and clinicians. Through these means, we are continually integrating critical aspects of oral structure, craniofacial development, and its impact on the pediatric airway in the service of providing optimal patient outcomes. Caring for children is so powerful and rewarding and with that, understanding the importance of utilizing gentle and minimal intervention therapies. Treating the source of their issues—instead of the symptoms—and focusing on early prevention, has been critical to my role in educating parents and assisting their blossoming child’s development into a healthy and resilient adult.

I hold an undergraduate degree from Columbia University in New York, where I studied Psychology. I received a Doctorate of Dental Surgery from Virginia Commonwealth University in Richmond, Virginia and completed my Pediatric Residency at Interfaith Department of Dental Medicine in Brooklyn, New York, where I served in a leadership role as Chief Resident. Board certified, I am a proud Diplomate of the American Board of Pediatric Dentistry.

When not helping my young patients build happy smiles, I enjoy spending time with family and friends, growing in my faith, improving my dancing skills, learning boxing moves, traveling — and cheering on Washington sports teams!

“Dr. Krystle,” as she is known by her patients, is thrilled to join her mom, Dr. Lynda, in practice. Patients and parents compliment her fun, compassionate approach. They are also impressed by her commitment to helping each child and parent have a positive dental experience. Having matured as a dental surgeon, she is constantly working to enhance her capabilities in the field.

Lynda Dean-Duru, DDS

Ashburn Children’s Dentistry

About Lynda Dean-Duru

Dr. Lynda Dean-Duru pursues pediatric dentistry with a passion rooted in her fascinating personal story.

For Doctor Lynda, the pathway to dentistry started during her own childhood experience with a dentist’s impact in her native Nigeria. As the eldest of nine children (including seven brothers), she witnessed a total transformation in the health of one of her little brothers after his aches and pains were totally resolved under the care of a well-trained dentist.

As a result of this transformative experience, young Lynda determined to extend that kind of care to others as her life’s calling. She went on to earn her dentistry degree from the University of Benin, her General Practice residency from Howard University Hospital, her Pediatric Dentistry Specialty Training from Children’s National Medical Center, Board Certification from the American Board of Pediatric Dentistry, and her Fellowship Laser Certification from the Academy of Laser Dentistry.

Doctor Lynda has undertaken much continuing education in Orthodontic training and is a fellow of the United States Dental Institute and a member of the prestigious Gnathos education group in Atlanta, Georgia. She holds a certification in Oral Myology from the International Association of Oral Myology (IAOM). She has completed levels 1 and 2 of the Advanced Light force functionals (ALF) therapy, ALF Interface Academy Foundations, Genesis, and other courses.

Doctor Lynda is part of an Integrative team of healthcare providers seeking to deliver optimal health to our pediatric population by education, awareness, and collaborative care. She also has a special interest in treatment that focuses on infants’ breastfeeding and prevention of sleep apnea in children.

She is a member of numerous professional and civic associations and provides tens of thousands of dollars in pro bono screenings and procedures along with other community service in Northern Virginia every year.

Eat Better and Get Healthy With Great-Fitting Dentures

Dentures are a good replacement option for patients who are missing all of their teeth, but only if they fit well. What Makes Dentures Loose?

Impact on the bone by continuous hitting of a denture against the jaw every time you eat can make the bone underneath the denture go away. This causes the denture to become loose and slip. It may create the need for using paste or other means to hold the denture in place. Slipping dentures can make eating certain foods very difficult for patients.

How Can Dentures Fit Well For A Long Time?

Dental implants can be placed under the denture. Implants have offered the possibility of fully replacing teeth for over 30 years and are very safe and effective. When you make the denture stable by “snapping” it onto dental implants, you can provide a better level of comfort for the denture-wearer, and create new strength for eating the foods patients love.

Dental implants are very much like your natural teeth. They are quite easy to get used to, and they can reduce the amount of stress to the bone and jaw by helping provide an anchor for support. The implant acts as a natural root to help prevent additional bone deterioration and helps to deliver long lasting function.

Does Every Denture-Wearer Qualify?

This depends on the amount of bone loss that has already taken place. If the denture has been in place for many years and the ridge of bone under it is very thin, you may need to have a special scan done to decide if you are a candidate for the procedure. This scan will also look for any other defects that may be present to make sure you are healthy.

Since implants are meant to last for a very long time, your health and

wellness are important to the outcome. How Long Does a Patient Have To Go Without Teeth?

Never. The denture is fitted to the implants, the same day the implants are placed. Typically, you are back to normal or better eating by day two or three.

Do Dental Implants Hurt?

Most patients have little to no discomfort. The surgery is done in one day, typically in about two hours. There are sedation options available for this procedure for those patients who want to relax through the procedure.

Is Treatment Expensive?

The cost of treatment varies depending on the number of implants, if a new denture needs to be made,

if the patient desires sedation, or if there needs to be more bone added to have a good result. Costs are variable and should be weighed against factors such the education of the doctor, the results from other patient experiences, and the quality of the product you are receiving.

Discover the difference dental implants can make for you.

– Dental Implants To Restore Your Beautiful Smile

– Caring & Kind Dentist & Team

– State-of-the-Art Equipment

– Laser Periodontic Therapy

– Affordable Gum Treatment

– Insurance Accepted & Filed

– Ultra-Sterile Environment

– No Referral Needed

– Comfortable Sedation Dentistry

Includes Initial Exam, Full

Our patients mean the world to us (and they love to refer to us as friends and family). My team works together to ensure your visit is enjoyable, and that your treatment is gentle and pain-free. We are deeply committed to help you prevent and treat periodontal (gum) disease, and to enhance your smile to improve your overall health.

Over countless millennia, Traditional Chinese Medicine has unfurled its therapeutic embrace within the heart

Traditional Chinese Medicine For Epilepsy

of China, casting its influence across horizons, notably igniting a luminous ascent in Europe and the United States. An ever-swelling throng now turns its gaze toward the realm of Chinese medicine and its kindred spirit, Complementary and Alternative Medicine (CAM), seeking the nurturing touch of holistic healthcare. Painted upon the canvas of statistics by the National Center

Wholelife Acupuncture & Fitness Center

Quansheng Lu, CMD, PhD, L.Ac www.wholelifeherb.com • luquansheng@gmail.com 301-340-1066 • fax: 301-340-1090

Guest professor, Henan University of Traditional Chinese Medicine (TCM) Chief TCM Physician, WFCMS; M.S. in TCM, Beijing University of TCM PhD in integrated medicine, China Academy of Chinese Medical Sciences Fellowship, Georgetown University & Children’s National Medical Center 3 patents, 8 books of TCM, 30 papers, 30+ years of experience in TCM

Low back pain • eczema • arthritis • allergies • cough • insomnia • paralysis obesity • nephritis • hepatitis • infertility • PMS • side effects of cancer treatment 416 Hungerford Drive, #300 Rockville, MD 20850 5022 Dorsey Hall Drive, #101 Ellicott City, MD 21042

Doesn't Your Child Deserve the Best?

Loving Care Pediatrics Janet V. Johnson, MD

where the satisfaction of all patients regardless of their background is the fundamental goal of our every action, with the practice of medicine being recognized and honored as a uniquely noble pursuit.

for Complementary and Alternative Medicine (NCCAM), the year 2007 witnessed a remarkable transformation, with 38% of adults, 44% of those aged 50-59, and even 12% of the youthful cohort embarking on a CAM journey.

Within this multifaceted tapestry of medical exploration, epilepsy emerges as a poignant narrative thread, tracing its roots back to the ancient pages of the Chinese Medicine Classic, the Huang Di Nei Jing, penned more than two millennia ago. The venerable tradition of Chinese herbal medicine and the refined choreography of acupuncture stand as the principal pillars of this ancient healthcare symphony.

In the gallery of recent studies, a vibrant tableau of promise takes shape, capturing the potential of

Chinese medicine’s potent blend of herbal alchemy and acupuncture in the treatment of epilepsy. Woven within this tapestry are the age-old remedies, with herbal blessings bestowed upon humanity since the dawn of antiquity. Consider, for instance, tian ma, the esteemed root of Gastrodia, a staple within China’s pharmacopeia, renowned for its role in addressing epilepsy and other maladies.

The annals of medical history unveil an intriguing trio of cases, where individuals grappling with intractable epilepsy found solace through the traditional herbal formulation Bu-yanghuan-wu-tang. Echoing through the corridors of time are the resounding endorsements from reviewers, spotlight-

Your Child’s First Dental Visit

“First visit by first birthday.” This is the view of the American Academy of Pediatric Dentistry. Pediatricians agree. The American Academy of Pediatrics suggests that children who are at risk of early childhood cavities visit a pediatric dentist by age one.

National studies have shown that preschool-aged children are getting more cavities. More than one in four children in the United States has had at least one cavity by the age of one. Many kids get cavities as early as age two.

To prevent early childhood cavities, parents first have to find out their child’s risk of developing cavities. They also need to learn how to manage diet, hygiene and fluoride to prevent problems.

But cavities aren’t all that parents need to learn about their child’s dental health.

The age one dental visit lets parents discuss the following important facts

How to care for an infant’s or toddler’s mouth

1. Proper use of fluoride

2. Oral habits, including finger and thumb sucking

3. Ways to prevent accidents that could damage the face and teeth

4. Teething and milestones of development

5. The link between diet and oral health

After this first visit, the pediatric dentist will suggest a schedule of follow-up visits. In the past, dentists typically called for visits every six months. However, this schedule may vary according to each child’s needs and risks. As the child grows, the dental team can help you, the parent, learn how to prevent common oral problems.

Before leaving the office, you should have a clear idea about

1. Your child’s development

2. Your responsibilities

3. Follow-up care by the dentist

4. Your child’s likelihood of having problems with cavities or bite

You should have your questions answered. You also should know what you and the dentist can do together to make sure your child has excellent oral health.

Please see “Epilepsy,” page 38

Deciding to have plus size LIPO 360 or tummy tuck 360 or high BMI abdominoplasty (plus-size plastic surgery) for patients who are considered overweight can be absolutely life-changing. Trusted Leading Body Contouring Expert, Dr. Sheilah A. Lynch takes into consideration every patient’s surgical goals, health and anatomy and tailors each procedure to the individual, rather than using any specific BMI number as a limit.

Dr. Lynch knows that plus-sized patients can be as healthy as average-weight patients, and they recognize that thinness does not always equal good health. She believes that BMI alone should not determine anyone’s ability to be happy with who they are or their ability to change their appearance. Therefore, as part of her body contouring practice, she performs higher-BMI plastic surgery on patients who qualify.

If you want more information on plus-size plastic surgery, we are waiving our consultation fee for the month of September and have financing available. Our all ladies practice is safe, confidential and comfortable.

egg F reezing

late your ovaries to produce multiple eggs. Regular monitoring through blood tests and ultrasounds will ensure your response to the medication is optimal.

5. Egg Retrieval Procedure

Once the eggs are ready, a minor surgical procedure is performed to retrieve them. Under sedation, a needle is guided by ultrasound to collect the eggs from the ovaries. This procedure is quick, typically lasting 20–30 minutes.

6. Freezing the Eggs

After retrieval, the eggs are immediately frozen using a method called vitrification. This flash-freezing technique prevents the formation of ice crystals, ensuring the eggs remain viable for future use.

7. Storage and Maintenance

Frozen eggs can be stored for many years. Most clinics in Maryland offer long-term storage options. It’s important to discuss the storage fees and any long-term plans with your clinic.

8. Costs and Financing Options

The cost of egg freezing can vary, but it typically includes the initial consultation, medication, monitoring, egg retrieval, and storage. Many clinics offer financing options or payment plans to help manage the expense. It’s

dry eye

Each layer of the tear film is made by a different part of the eye.

The mucin layer is made by the eye surface itself. The aqueous layer is made by a tear gland tucked under the upper eyelid. And the lipid layer is made by small glands in the eyelids. For the tear film to do its job, all three layers have to be in their proper places in the correct amounts, like a recipe.

If any layer is missing or abnormal the tear film becomes disorganized and no longer soothes the eye like it should. When that happens, the symptoms of dry eye syndrome occur. The front surface of the eye gets dried out (causing stickiness) and gets inflamed (causing stinging and burning). Once it gets inflamed, the eye ignores the proper tear film recipe and starts making large quantities of the aqueous layer in an effort to soothe itself.

These bad tears don’t soothe the eye at all they just run down your face, washing away the mucin and lipid layers as well. This makes the eye even more irritated, so it makes even more bad tears, and the cycle continues.

We are now able to perform scans to determine which layer of the tear film is causing your particular signs and symptoms. This allows us to tailor treat-

worth discussing these options during your initial consultation.

9. Success Rates and Considerations

The success of egg freezing depends on several factors, including your age at the time of freezing and the number of eggs retrieved. Generally, freezing your eggs at a younger age yields better results. Your fertility specialist can provide personalized insights based on your situation.

10. Emotional and Psychological Support

The decision to freeze your eggs can be emotionally challenging. Many clinics offer counseling services to support you through the process. Connecting with others who have undergone the same procedure can also be beneficial.

Egg freezing is a powerful option for women looking to take control of their reproductive futures. Understanding the process, choosing the right clinic, and knowing what to expect can help make the journey smoother. If you’re considering egg freezing in Maryland, take the time to research and consult with experts to make the best decision for your needs. Prevously publised on Medium.com

FrOm pAge 18

ments unique to you. We can provide regimens that include a combination of eye drops or even not using drops.

TearCare has become an invaluable tool for managing patients with Meibomian Gland Dysfunction (MGD) and chronic dry eye. Primarily used TearCare for patients who have not found relief from traditional treatments like artificial tears or warm compresses. The flexibility of the device allows for personalized treatment plans, ensuring that it can provide targeted and effective care.

Recently published data shows that TearCare has been proven superior to the leading dry eye Rx. The positive feedback from patients regarding both the comfort of the procedure and the improvement seen has reinforced its role in dry eye management strategy.

For some people, the stinging, burning, redness and watering may seem like little more than a nuisance, but if left untreated, dry eye syndrome can lead to serious eye problems, including inflammation, increase the risk of infections, and even scarring. Once scarring occurs, permanent loss of sight can occur.

If you have symptoms of dry eyes see your doctor. Treatments are available to halt the disease and improve your quality of vision.

A ll-On-FOur

precisely placed implants on the top of your mouth, and four on the bottom, to restore your full smile. That’s the beauty of the all-on-four. And because the implant is made of titanium, it has the unique ability to fuse to living bone and function as part of it. So eventually, the dental implant becomes part of the jawbone and serves as a strong, long-lasting foundation for your new teeth.

Besides ensuring that your implants are permanently fixed in place, this bone fusion has another important benefit: it prevents future bone loss in the jaw. This helps to maintain a more youthful facial structure – and better oral health. But perhaps the biggest surprise about the all-on-four is how quickly it can transform your life.

What’s The All-On-Four Dental Implant Procedure Like?

It can be scary to get implants for the first time. Most of that fear is probably due to the uncertainty, so here is the step-by-step process for getting an All-On-Four dental implant.

First, your dentist will want to make sure your comfortable, so either local or general anesthesia will be administered.

Second, the dentist or surgeon will prepare your mouth for the im-

BirthdAy

are the keys to longevity. So, whether you eat meat, cheese, or eggs, balance is what matters.

The body needs a certain amount of nutrients from our foods and thoughts to maintain a healthy mind and body.

plants, which involves removing your remaining teeth that are failing. They will then remove any diseased or infected tissue from your jaw and gums. Next, they will begin the implantation process. This means they will insert the titanium screws into your jawbone. Most likely, they will place two implants toward the front of your mouth and two towards the back of your mouth so the “anchors” can evenly bare the force of the denture.

After the implants have been placed, they will thoroughly clean the surgical sites and suturing all the incisions. Then you’ll be taken to a recovery room where you can relax and take time to wake up from the anesthesia.

How Do You Know If The All-On-Four Procedure Is The Right Option For You?

At your All-On-Four consultation, you’ll receive a 3D CT Scan. This scan will help determine if you need implants and assist your doctors in creating your treatment plan. So if you want to learn more about dental implants, simply schedule a consultation with an All-On-Four provider. It’s the best way to find out how dental implants can change your life.

Out-of-balance bodies can suffer from diabetes, heart disease, constipation, high cholesterol, and other ailments that result from our choices. Why not choose to maintain the homeostasis of the body?

epilepsy

ing studies that illuminate the potential anticonvulsant properties of Chinese herbal remedies like Qingyangsen and Zhenxianling, offering a harmonious note of hope with fewer dissonant side effects compared to conventional antiepileptic medications.

In the elaborate mosaic of healing, acupuncture emerges as a poignant brushstroke, gracefully wielded by Traditional Chinese Medicine. Anecdotal accounts intertwine with mouse studies, suggesting the potential efficacy of acupuncture against epileptic seizures and the cellular

Your birthday is your solar return, whether you celebrate it or not. How well you have taken care of your body determines how long you live and the quality of your life. The choices you make in caring for your machinery (your body) are a result of what we consciously or unconsciously eat or do. The choices we make can heal or harm us.

Happy Solar Return.

toll they bear. A Norwegian chapter adds to this tapestry, where a trial involving 29 individuals grappling with unyielding epilepsy explored the potential of acupuncture, revealing promising but not yet statistically significant results. The choreography of healing, however, often calls for a dual performance, harmonizing herbal medicine with acupuncture in a synergistic dance. Typically spanning 3-6 months, this therapeutic pas de deux seeks to mend the discordant notes of epilepsy, crafting a melody of health and vitality.

FrOm pAge 36

HEALTH DIRECTORY

ACUPUNCTURE

Eastern Medical Holistic Healing Center, Angel Wood, 240755-5925. www.acupuncture4wellness.webs.com

ALTERNATIVE HEALTHCARE

Holistic Family Health - Thermal Imaging, Herndon, VA. 703-635-6324 For More information visit www.fhtid.com

BEAUTY/SKIN

A Better You, Dr. ClarkeBennett, 410-672-2742. Essences of Jamal of DC – 202839-0657. Worlds Best SheaButter, Rose-Water Butter, Hemp Seed Oil, Nag Champa Incense, Sage Smudge Sticks, Jumbo Incense Sticks, TeaTree Oil. Price List Available. 202-839-0657 – JamalofDC@ gmail.com.

BREAST HEALTH

University of Maryland Charles Regional Medical Center. 11340 Pembrooke Square, Suite 202, Waldorf, MD 20603. 240-607-2010. UMCharlesRegional.org

CHINESE MEDICINE & ACUPUNCTURE

Wholelife Chinese Medicine & Acupuncture, 301-526-9898, 416 Hungerford Dr., Rockville www.wholelifeherb.com

DENTISTRY

Karl A Smith, DDS, 2550 N. Van Dorn St., Suite #128, Alexandria, VA. Call 703-894-4867, Visit www.drkarlsmith.com

DENTISTRY

Richard Hughes, DDS, 703444-1152, 46440 Benedict Drive Suite #201, Sterling, VA. www.SterlingImplantDentist. com

EYE

CARE

Visual Eyes, Alexander Nnabue OD, 301-324- 9500. HOLISTIC WELLNESS COACH

Nutrition Lifestyle Digestion and More – Lisa@LisaThorne.Me – Text 269861-7565.

HYPNOSIS

Toni’s Happy Hour Yoga and Holistic Wellness Center • 6504 Old Branch Avenue, Temple Hills, MD 20748 • 301-449-8664.

MEDICAL SPACE

Charles L. Feitel Company, 301-571-9333, www.medicalanddentalspace.com.

MENTAL HEALTH SERVICES

House Calls, LLC. 301-3466732. callingonbeth@gmail. com. www.CallingOnBeth.net.

NUTRITION

Nutritional Healing Center, Thomas K. Lo, DC, MA, 240-651-1650, 7310 Grove Road, Suite 107, Frederick, MD 21704. doctorlo.com.

Good Health Nutrition Services,LLC – 1300 Mercantile Lane, Suite 129-37, Largo, MD 20774 – 301-3414680 – www.ghnutritionservices.com – Dr. Florence Omerennah – Registered Dietitian/Diabetes Educator – We accept Insurance.

OPHTHALMOLOGY

NewView Laser Eye Center – Jacqueline D. Griffiths, MD – Reston (703) 834-9777 – Visit us at www.NewViewEye.com.

ORAL & FACIAL

SURGERY

Northern Virginia Surgical Arts – 703-998-3971 – 611 South Carlin Springs Road, Suite #308, Arlington, VA 22204 For more info visit us online at www.NOVASurgicalArts.com.

ORTHODONTICS

All Smiles Orthodontics – 9010 Lorton Station Blvd., Suite #260, Lorton, VA 22079 – www. AllSmilesBraces.com – For info call us at 703 337-4414.

Order Information: 3 line listing $30.00 for 6 months, $5.00 for each additional line. 10 line listing for 6 months is $65.00. (Each line approximately 3-4 words)

To Order: Include you NAME, ADDRESS, PHONE, EMAIL AND WHAT HEADING YOU WISH TO BE LISTED UNDER, AND ANY SPECIAL OFFER OR TEXT TO INCLUDE. We will prepare a proof and email to you for approval.

Email your information to: info@yourhealthmagazine.net or Fax to: (301) 805-6808. Call (301) 805-6805 for assistance.

WASHINGTON, DC EDITION

MARYLAND/WASHINGTON, DC OFFICE

4201 Northview Drive, Suite #102, Bowie, MD 20716 phone: (301) 805-6805 • fax: (301) 805-6808 • email: Info@YourHealthMagazine.net VIRGINIA OFFICE phone: (703) 288-3130 • fax: (703) 288-3174 • email: Publish@YourHealthMagazine.net

ORTHODONTICS

Jacqueline Brown Bryant DDS, MS, PC, Damon, Clear Braces & Invisalign for Adults And Children. Silver Spring, Maryland 20910 www.smileconstructors. com 301-587-8750 .

PEDIATRICS

Loving Care, Janet Johnson, MD – Hyattsville, MD – 301403-8808.

PHYSICAL THERAPY/ REHABILITATION

Active Physical Therapy. Various Locations across Maryland and Washington, DC. Active-physicaltherapy.com.

PODIATRY

Arlington Podiatry Center, Edward Pozarny, DPM 703-8201472. 611 S. Carlin Springs Rd, Suite #512, Arlington, VA. Largo Foot and Ankle Health Center, Ade Adetunji, DPM, 301-386-5453.

SENIOR CARE

Chevy Chase Home Care. Help at a time you need it most. Any Ages. Any situations. Any shifts. MD, DC, VA. www.CHCHhomecare.com 202-374-1240.

YOGA

Toni’s Happy Hour Yoga and Holistic Wellness Center –6504 Old Branch Ave., Temple Hills, MD – 301-449-8664.

SUBSCRIBING IS EASY:

1) Call 301-805-6805 with your name, contact info, and credit card payment for $24, or

2) Simply mail this form along with your check for $24:

Now you can get the latest issues delivered directly to your home!

• Health articles and advice

• Doctors near YOU!

• Maryland, Washington, DC & Virginia editions

• Only $24 for a year’s subscription (12 issues)!

Your Health Magazine 4201 Northview Dr. Suite 102 Bowie, MD • 20716 CHECK

GOT GUT ISSUES?

Weight Loss With Semaglutide

Submitted by New Day Vitality Hormone Center

Semaglutide injections are part of a prescription-based, medically supervised weight loss program which also incorporates healthy eating and exercise.

Originally prescribed for patients with type 2 diabetes, semaglutide is used to help with weight loss in those who are overweight or obese and also suffer from high blood pressure, high cholesterol or type 2 diabetes.

Semaglutide (known under the brand names Ozempec and Wegovy) targets areas of the brain that regulate appetite and food intake. It also helps the pancreas release the right amount of insulin when blood sugar levels are high, smoothing out the extreme highs and lows that negatively impact hunger and metabolism.

Sixty to 70 percent of midlife

eyes yOung

1. B. How close you sit to the television, low light reading, and not wearing your glasses won’t weaken your vision, reports Prevent Blindness America, a nonprofit eye health group in Schaumburg, IL. But studies show that breathing cigarette smoke can indirectly damage your eyes.

2. D. B vitamins reduce your light sensitivity. Take 25 to 50 mg of B1, 25 to 100 mg of B2 and 1000 to 2000 mcg of B12 daily.

3. D. The healthy bacteria L. acidophilus in yogurt combats the bacteria that causes conjunctivitis. Eat 1 1/2 cups of yogurt with active cultures daily.

4. A. Women’s tears contain high levels of the hormone prolactin, which decline after menopause, resulting in dry eyes. To help reverse this problem, be sure to get enough potassium (500 mg daily), a mineral that metabolizes fluid. Also, take vitamin B complex (50 mg daily). B vitamins, especially folic acid and B6, are crucial for tear production.

5. D. Spinach contains lutein, a plant pigment that prevents macular degeneration. Each day, eat four to eight ounces of cooked Spinach, or take

women experience weight gain as they approach menopause. Unfortunately, throughout perimenopause, the rate of fat gain doubles and lean mass declines. In addition, fat distribution shifts and body composition changes, leading to an increased risk of cardio-metabolic disorders, including high blood pressure and obesity.

According to a large doubleblind, placebo-controlled study of semaglutide effectiveness published in New England Journal of Medicine, adults who received semaglutide injections lost an average of 12.4% of their initial body weight compared to individuals who received placebo. Losing 5% to 10% of body weight has been associated with a reduced risk of cardiovascular disease in adult patients with obesity or those who are overweight. If your weight loss efforts need a boost, consider weekly semaglutide injection therapy.

FrOm pAge 15

two to six mg of lutein in capsule form.

6. C. Muscle spasms trigger twitches in your eyelids. For relief, take up to 400 mg of magnesium (a known muscle relaxant) twice daily. If a twitch persists, also take 50 mg of vitamin B6 daily.

7. C. It’s crucial to wear sunglasses between 10 a.m. and 2 p.m., even on cloudy or winter days. Look for ones that block 100 percent of UVA and UVB rays.

8. D. Antibiotics, aspirin, and oral contraceptives make your eyes sensitive to light. Wear sunglasses if your medication’s label includes a photosensitization warning.

9. B. Taking the mineral zinc doesn’t cause macular degeneration. In fact, a recent study published in the Archives of Ophthalmology reported that high doses of zinc (80 mg daily), taken in addition to vitamin C (500 mg), vitamin E (400 IU), and beta carotene (15 mg), slow its progression.

10. A. A qi, or life energy, deficiency in the liver can cause glaucoma, according to traditional Chinese medicine. The Chinese herbal formula hsaio yao wan improves liver energy.

Turn static files into dynamic content formats.

Create a flipbook
Issuu converts static files into: digital portfolios, online yearbooks, online catalogs, digital photo albums and more. Sign up and create your flipbook.